Con tôm tháng 8/2025

Page 1


san CON TÔM

Hội Thủy sản Việt Nam

CHỦ NHIỆM

TS Nguyễn Việt Thắng

PHỤ TRÁCH

PGS.TS. Nguyễn Chu Hồi

BAN BIÊN TẬP

Dương Xuân Hùng, Trưởng Ban Biên tập

Đỗ Huy Hoàn, Nhà báo

Phạm Thu Hồng, Nhà báo Dương Nam Anh, Nhà báo

THƯ KÝ TÒA SOẠN

Kim Tiến

CỘNG TÁC NỘI DUNG

Minh Thanh, Hải Đăng, Vũ Mưa, Anh Thư, Lê Cung, Phạm Duy Tương, Phan Thanh Cường, Nguyễn Anh, Lê Hoàng Vũ, Mai Xuân Trường

KỸ THUẬT VI TÍNH

Phạm Dương

TÒA SOẠN

Lầu 2, Nhà B, 116 Nguyễn Đình Chiểu, P. Đa Kao, Q.1, TP Hồ Chí Minh

Điện thoại: 028.62777616

Email: toasoan.contom@gmail.com

Văn phòng tại Hà Nội: Tầng 1, nhà A8, số 10 Nguyễn Công Hoan, Ba Đình, Hà Nội

Điện thoại: 0243.7713699

LIÊN HỆ QUẢNG CÁO

VIETNAMMEDIA Communication Co., Ltd.

Điện thoại: (028) 62.777.616

DĐ: 0944.663.828

Email: nghia@thuysanvietnam.com.vn

ĐẶT MUA TẠP CHÍ

Điện thoại: (024) 3.771.1756

Email: vuna@thuysanvietnam.com.vn

TÀI KHOẢN NGÂN HÀNG

Tên tài khoản: CÔNG TY TNHH TRUYỀN THÔNG

VIETNAMMEDIA

Số 8614227979

Ngân hàng Đầu tư & Phát triển

Việt Nam (BIDV) - Chi nhánh Bà Chiểu

Ấn phẩm LHNB

Thưa Quý vị bạn đọc!

Từ đầu tháng 8 đến nay, giá TTCT tại khu vực ĐBSCL vẫn duy trì khá tốt và với mức giá hiện tại, chỉ cần tôm đạt tỷ lệ sống cao, tăng trưởng tốt thì người nuôi đã có lợi nhuận khá. Tuy nhiên, dù giá tôm ổn định, nhưng phần lớn hộ dân còn thận trọng trong việc thả giống vụ mới. Nguyên nhân là do dịch bệnh vẫn gây ra nhiều thiệt hại. Bên cạnh đó, việc đại lý thu hẹp lượng khách hàng đầu tư khiến số hộ nuôi tôm nhỏ lẻ thiếu vốn không có điều kiện thả nuôi tiếp. Đặc biệt, sự bất ổn của thị trường tiêu thụ cũng khiến người nuôi dè dặt, đắn đo trong việc xuống giống. Về xuất khẩu, lũy kế 7 tháng đầu năm 2025, tôm tiếp tục là mặt hàng chủ lực với giá trị đạt 2,5 tỷ USD, tăng 24% so cùng kỳ. Dù xuất khẩu tăng trưởng tốt nhưng tôm Việt Nam đang đối mặt với nhiều thách thức khi các thị trường ngày càng siết chặt tiêu chuẩn kỹ thuật, kiểm dịch và yêu cầu về phát triển bền vững. Trong bối cảnh xuất khẩu gặp khó, thị trường nội địa đang trở thành cơ hội vàng cho doanh nghiệp. Theo ước tính, sản lượng tôm tiêu thụ nội địa hàng năm đã vượt mức 100.000 tấn, tức chiếm khoảng 10% tổng sản lượng tôm cả nước. Và dự báo, với tỷ lệ dân số có mức thu nhập trung bình trở lên đang trên đà tăng, cùng nhu cầu về thực phẩm dinh dưỡng cao, an toàn, dễ chế biến, có giá thành phù hợp thì chỉ trong một vài năm tới, con số này sẽ đạt khoảng 200.000 tấn trở lên.

Ông Trần Hữu Linh, Cục trưởng Cục Quản lý và Phát triển thị trường trong nước (Bộ Công Thương), nhấn mạnh, doanh nghiệp không thể tiếp tục xem tiêu dùng trong nước là kênh phụ, hay nơi tiêu thụ sản phẩm xuất khẩu dư thừa, mà cần chủ động xây dựng chiến lược riêng cho thị trường này, với đầy đủ các khâu từ nuôi trồng, sản xuất, phân phối đến hậu kiểm. Đây là những nội dung chính của Đặc san Con Tôm phát hành tháng 8/2025. Ngoài ra, trong số này vẫn là các chuyên trang, chuyên mục cập nhật tình hình nuôi tôm trong nước và thế giới, thông tin thị trường, kỹ thuật nuôi,… Mời các bạn đón đọc!

Trân trọng!

BAN BIÊN TẬP

Tòa soạn luôn hoan nghênh sự đóng góp và các bài viết đặc sắc về ngành tôm từ các CTV, bạn đọc gần xa. Thư và bài vở xin gửi về: TạpchíThủysảnViệtNam - Lầu 2, Nhà B, 116 Nguyễn Đình Chiểu, P. Đa Kao, Q.1, TP Hồ Chí Minh

Điện thoại: 028.62777616

Email: toasoan.contom@gmail.com Hoặc liên hệ trực tiếp theo số điện thoại: 0374 099 498 (Ms. Kim Tiến) Website: www.thuysanvietnam.com.vn  www.contom.vn

Theo dòng thời sự

T14-15: Nhiều biến động khó lường

Vấn đề - Sự kiện

T16-17: Khai thác tốt thị trường nội địa

Tòa soạn - Bạn đọc

T18-19: Khó khăn trong công tác phòng, chống dịch bệnh thủy sản

Thị trường xuất khẩu

T24-25: Ngành tôm xoay chuyển thế cục, thay đổi để giữ thị trường Mỹ

Nhìn ra thế giới

T30-31: Thái Lan: Xoay trục ngành tôm: Tăng nội địa, vượt sóng toàn cầu

Thức ăn - Dinh dưỡng

T36-37: Chiết xuất thảo dược tăng cường miễn dịch tế bào

Khoa học - Kỹ thuật

T38: Sử dụng thảo dược phòng trị bệnh hoại tử gan tụy cấp

T39: Gelatin nâng cao chất lượng tôm càng xanh

Thông tin doanh nghiệp

T40: Quản lý chất lượng nước ao tôm mùa mưa

T41: Xử lý hiện tượng váng bọt khó tan trong ao

T42-43: Xác nhận kỷ lục 14 con/kg từ tôm sú giống của

C.P. Việt Nam

T44: Công nghệ Nano Bubbles: Chìa khóa nâng cao hiệu

quả vụ nuôi

Mô hình điển hình

T52: Chuyện những lão nông nuôi tôm tại An Giang

Đồng hành cùng nhà nông

T54-55: Cải thiện đường ruột cho tôm nuôi

QUẢNG NINH

Phát triển ngành tôm theo hướng công nghệ cao

Những năm qua, nhiều địa phương của Quảng Ninh đã đẩy mạnh nuôi tôm thâm canh, ứng dụng công nghệ cao, dần thay thế hình thức quảng canh truyền thống. Tại các địa phương ven biển từ Móng Cái đến Quảng Yên (cũ) ngày càng xuất hiện nhiều mô hình nuôi VietGAP, tuần hoàn khép kín. Các chỉ số môi trường như nhiệt độ, pH, hàm lượng ôxy hòa tan, ammoniac,... được theo dõi qua hệ thống cảm biến kết nối Internet (IoT) giúp việc kiểm soát chặt chẽ hơn. Đồng thời, các công nghệ như biofloc (sử dụng vi sinh để xử lý chất thải trong ao), phần mềm trí tuệ nhân tạo (AI)

để dự báo môi trường, hệ thống tự động cho ăn theo cảm biến,… đang được áp dụng rộng rãi, giúp giảm thiểu rủi ro, nâng cao hiệu quả sản xuất và kiểm soát chất lượng. Để duy trì đà phát triển này, tỉnh Quảng Ninh tiếp tục hỗ trợ, khuyến khích đầu tư công nghệ, đào tạo nhân lực và mở rộng mô hình sản xuất thông minh trong lĩnh vực này.

THÁI THUẬN

NGHỆ AN Gấp rút thu tỉa tôm nuôi

Những ngày cuối tháng 7, dọc các vùng nuôi trồng thủy sản ven biển Nghệ An không khí lao động sản xuất trở nên tất bật hơn bao giờ hết. Sau đợt mưa lũ, thời tiết Nghệ An đang bước vào những ngày nắng nóng gay gắt. Tranh thủ thời điểm sản phẩm được giá, thời tiết thuận lợi, nhiều hộ thủy sản đang gấp rút thu tỉa, “chạy hàng” để phòng mưa bão dồn dập từ nay đến cuối tháng 10. Theo kinh nghiệm của người dân, vào những thời điểm giao mùa như hiện nay, việc chủ động thu hoạch tỉa dần là giải pháp “ăn chắc” để thích ứng với những diễn biến thời tiết khó lường. Dù phải thu hoạch sớm, chấp nhận sản lượng thấp hơn kỳ vọng, nhưng đổi lại, người nuôi tránh được nguy cơ trắng tay khi mưa bão về. Theo dự báo, từ nay đến cuối tháng 10, trên Biển Đông có thể xuất hiện nhiều cơn bão và áp thấp nhiệt đới, cùng với đó là nguy cơ mưa lớn kéo dài, gây ngập úng các vùng nuôi trồng ven biển.

LÊ LOAN

NINH BÌNH

Khẩn trương khôi phục sản xuất tôm sau bão

Cơn bão số 3 (Wipha) đã gây ra ảnh hưởng nghiêm trọng về nông nghiệp tại tỉnh Ninh Bình, đặc biệt là ngành nuôi tôm. Theo báo cáo nhanh từ các địa phương, đã có 1.886 ha nuôi tôm bị ngập, gây thiệt hại nặng nề cho người dân. Ngay sau khi bão tan, ngành chức năng địa phương đã khẩn trương chỉ đạo triển khai các biện pháp nhằm khôi phục sản xuất, giảm thiểu thiệt hại cho người dân. Phòng Kinh tế, các hợp tác xã tập trung lực lượng khoanh vùng, vận hành hệ thống kênh tiêu; hướng dẫn người dân mở cống ao nuôi để tiêu thoát nước nhanh ra khỏi ao, vệ sinh khu vực nuôi, xử lý môi trường bằng chế phẩm sinh học để tiêu độc, khử trùng. Với những ao bị nước ngập hoàn toàn, hướng dẫn người dân xử lý môi trường ao nuôi và tái thả giống phù hợp với điều kiện thực tế. Khuyến khích các đơn vị chủ động cung cấp giống, thức ăn và tư vấn kỹ thuật, giúp người dân nhanh chóng khôi phục sản xuất.

NGUYỄN AN

HÀ TĨNH

Chủ động ứng phó mưa bão

Thời điểm này, các hộ nuôi tôm tại Hà Tĩnh đã chủ động triển khai nhiều giải pháp chủ động ứng phó với mưa bão nhằm giảm thiểu thiệt hại. Ông Trương Quang Lộc, Giám đốc hợp tác xã Nuôi trồng thủy sản Hà Voọc (phường Trần Phú) chia sẻ: “Trước diễn biến thời tiết bất thường, kèm theo dự báo về mùa mưa bão, tôi đã chủ động tăng cường các biện pháp như: khử khuẩn nguồn nước định kỳ 3 ngày/lần bằng canxi; gia cố bờ ao bằng lưới chắn; trang bị thêm các thiết bị máy phát điện,…”. Theo Chi cục Thủy sản Hà Tĩnh, nhằm giảm thiểu thiệt hại cho người dân trong mùa mưa lũ, Chi cục Thủy sản đã ban hành các văn bản chỉ đạo, hướng dẫn các hộ nuôi và chính quyền địa phương thức hiện các giải pháp ứng phó. Trong đó, tập trung tăng cường quản lý nuôi trồng thủy sản trong điều kiện thời tiết mưa giông bất thường, bão lũ, áp thấp nhiệt đới; khắc phục ổn định sản xuất sau mưa lũ; phòng chống dịch bệnh trong thời gian mưa bão,... DUY AN

THANH HÓA

Nuôi tôm an toàn mùa mưa bão

Tại vùng nuôi thủy sản xã Quảng Chính, có hơn 50 hộ dân phát triển nuôi trồng khoảng 176 ha. Trong đó, hợp tác xã dịch vụ và nuôi trồng thủy sản Quảng Chính (HTX Quảng Chính), đang quản lý và hỗ trợ kỹ thuật sản xuất cho khoảng 60 ha nuôi trồng của người dân. Mặc dù là vùng quy hoạch phát triển nuôi trồng thủy sản song việc đầu tư hạ tầng, các vùng nuôi trồng tại đây chưa đồng bộ. Đặc biệt là khu vực chuyển đổi ruộng thấp trũng, vùng ven sông vào mùa mưa bão vẫn luôn tiềm ẩn nhiều rủi ro, mất an toàn. Do đó, HTX Quảng Chính đã tham mưu cho UBND xã hướng dẫn, hỗ trợ các hộ nuôi cần quan tâm thực hiện các giải pháp bảo đảm an toàn ao, đầm và nhà màng, nhà lưới nuôi thủy sản. Thường xuyên kiểm tra hệ thống kênh tiêu thoát nước, chuẩn bị đủ nhiên liệu để vận hành máy bơm tiêu khi cần thiết,... Sẵn sàng nguồn vật tư sản xuất, thuốc phòng chống dịch bệnh trên đối tượng nuôi trồng trong mùa mưa bão.

THANH HIẾU

QUẢNG TRỊ

Nuôi tôm công nghệ cao thu lãi lớn

Tại vùng nuôi trồng thủy sản tập trung của xã Bắc Trạch, việc

đầu tư vào cơ sở hạ tầng đã góp phần tạo điều kiện thuận lợi cho người nuôi tôm trong vùng cải thiện nguồn nước cấp cũng như xả thải từ ao lắng ra môi trường. Đặc biệt, hệ thống giao thông nội đồng giúp quy trình vận chuyển vật tư, vật phẩm khi thu hoạch rất thuận lợi. Anh Trần Văn Nghĩa nuôi tôm tại đây được 3 năm. Sau nhiều năm đầu tư, anh đã xây dựng được 2 ao nuôi hiện đại trên diện tích 6 ha, các ao nuôi áp dụng công nghệ tự động gần như toàn bộ từ điều tiết nước, cho tôm ăn, tạo ôxy,… Quy trình nuôi tuân thủ một cách nghiêm ngặt từ lựa chọn con giống, sử dụng các chế phẩm sinh học để khử khuẩn đến chăm sóc tôm hàng ngày. Trung bình mỗi năm anh thu về sản lượng trên 200 tấn, lợi nhuận khoảng hơn 4 tỷ đồng. Ngoài ra, anh còn giải quyết công ăn việc làm ổn định cho 6 lao động tại địa phương.

NGUYỄN HẰNG

Phấn đấu trở thành trung tâm nuôi tôm hiệu quả, bền vững

Chủ tịch UBND tỉnh Cà Mau đã ban hành Kế hoạch phát triển sản xuất đột phá ngành tôm năm 2025 với mục tiêu phát triển ngành tôm trở thành trung tâm nuôi tôm hiệu quả, bền vững của vùng ĐBSCL và cả nước, góp phần tăng trưởng GRDP của tỉnh đạt 8,5% năm 2025 và đảm bảo tăng trưởng “hai con số” từ năm 2026 trở đi. Ngoài ra, mục tiêu kế hoạch còn tập trung tăng cường ứng dụng công nghệ tiên tiến, hiện đại vào quá trình sản xuất và toàn bộ chuỗi giá trị. Tổ chức lại sản xuất theo hướng hợp tác, liên kết để nâng cao năng suất, sản lượng, chất lượng và sức cạnh tranh của sản phẩm tôm Cà Mau,… UBND tỉnh Cà Mau đã đề ra nhiều nhiệm vụ và giải pháp để thực hiện. Trong đó, yêu cầu lãnh đạo cấp ủy, chính quyền cấp xã xác định việc thực hiện kế hoạch phát triển đột phá ngành tôm là nhiệm vụ trọng tâm. Lựa chọn các doanh nghiệp uy tín, có kinh nghiệm liên kết chuỗi và vận động các hợp tác xã, tổ hợp tác, người nuôi tôm tham gia thực hiện kế hoạch một cách minh

ĐẮK LẮK

Triển vọng nuôi TTCT kết hợp sá sùng

Từ năm 2022, Viện Nghiên cứu Nuôi trồng thủy sản III đã triển

khai mô hình nuôi kết hợp giữa sá sùng và TTCT tại Phú Yên (nay là

tỉnh Đắk Lắk). Theo đó, sá sùng thả với mật độ 20 - 30 con/m², TTCT

mật độ 60 con/m². Sá sùng không cần cho ăn, còn tôm sử dụng thức ăn công nghiệp. Kết quả, sá sùng đạt tốc độ sinh trưởng trung bình 0,031 g/ngày, tỷ lệ sống từ 63 - 75%, năng suất đạt 1,5 tấn/ha. TTCT

đạt tốc độ tăng trưởng 0,12 g/ngày, tỷ lệ sống 81%, năng suất khoảng 8 tấn/ha, cao hơn đáng kể so với mô hình nuôi đơn (5 - 6,5 tấn/ha).

Hiệu quả kinh tế từ mô hình rất khả quan, với lợi nhuận trung bình 519 triệu đồng/ha. Với mô hình này, sá sùng có vai trò như một “bộ lọc sinh học”, giúp xử lý chất thải đáy ao và thức ăn dư thừa, hạn chế mầm bệnh và giảm thiểu việc sử dụng kháng sinh, tạo sản phẩm sạch, thân thiện với môi trường, đáp ứng tiêu chuẩn xuất khẩu.

NAM CƯỜNG

Cà Mau duy trì diện tích nuôi tôm siêu thâm canh là 13.200 ha Ảnh: BCM bạch. Tổ chức cuộc họp, mời các hộ nuôi tôm siêu thâm canh trên địa bàn để tuyên truyền, hướng dẫn và vận động tham gia thực hiện kế hoạch,…

LÂM ĐỒNG

Tiên phong nuôi tôm công nghệ cao Đó là mô hình của ông Bùi Văn Tri, xã Hòa Thắng. Được biết, từ vài ha ban đầu, ông thuê thêm đất, mở rộng vùng nuôi, đến nay, khu nuôi tôm công nghệ cao của ông rộng khoảng 20 ha có 13 khu với 100 ao nuôi, được đầu tư nhà lồng khép kín, hệ thống ôxy, ao lắng,… Quy trình nuôi 3 giai đoạn giúp môi trường ao nuôi ít biến động, hạn chế dịch bệnh, tăng tỷ lệ sống của tôm. Đồng thời, tận dụng được ưu thế tăng trưởng do thưa mật độ ở mỗi giai đoạn, tôm lớn nhanh, nuôi được kích cỡ lớn, tăng năng suất và đặc biệt có thể nuôi nhiều vụ trong năm so với cách làm truyền thống trước đây. Được biết, mô hình nuôi tôm công nghệ cao của ông Tri được nhiều bà con nuôi tôm trong tỉnh quan tâm, đến học hỏi kinh nghiệm và đã có hộ nuôi ứng dụng khá thành công. Hiện tại, cơ sở của ông Tri đã tạo công ăn việc làm ổn định cho hơn 100 lao động tại địa phương. THẢO ANH

TP CẦN THƠ

Triển khai mô hình hỗ trợ người nuôi

Tôm nước lợ được xác định là ngành kinh tế mũi nhọn của tỉnh

Sóc Trăng (cũ) nay là TP Cần Thơ. Địa phương đã triển khai “Đề án

Phát triển nuôi tôm nước lợ giai đoạn 2023 - 2025, tầm nhìn đến

năm 2030” tại một số địa phương nuôi tôm trọng điểm ở các xã:

Trần Đề, Cù Lao Dung, Long Phú, Hòa Tú và phường Khánh Hòa. Để

hỗ trợ người dân tại các địa phương trên phát triển nghề nuôi tôm nước lợ bền vững, Ban Quản lý Đề án đã triển khai các mô hình hỗ

trợ đến hộ nuôi. Ông Ngô Thế Vinh, xã Trần Đề, cho biết: “Đề án hỗ trợ tôi con giống, thức ăn và kỹ thuật chăm sóc tôm, giảm một phần chi phí đầu tư vụ nuôi. Số lượng giống tôm được Đề án hỗ trợ tôi thả nuôi đã hơn 60 ngày, đang phát triển tốt, dự kiến tôm nuôi đến 90 - 100 ngày sẽ thu hoạch. Tôi mong muốn Đề án tiếp tục được duy trì trong thời gian tới để nghề nuôi tôm nước lợ phát triển bền vững”.

DIỆU CHÂU

Chủ động giám sát dịch bệnh

Theo ông Nguyễn Thành Đức, Chi cục trưởng Chi cục Chăn nuôi và Thú y An Giang, tình hình dịch bệnh trên thủy sản trong 6 tháng đầu năm 2025 diễn biến phức tạp, nhất là ở vùng nuôi tôm nước lợ. Cụ thể, tổng diện tích nuôi tôm bị thiệt hại lên đến 1.130,49 ha, chủ yếu do môi trường, bên cạnh các tác nhân bệnh như đốm trắng, hoại tử gan tụy cấp (AHPND) và vi bào tử trùng EHP. Để chủ động ứng phó, ngành chuyên môn đã tổ chức giám sát dịch bệnh chủ động trên 218 mẫu tôm, phát hiện 29 mẫu dương tính với các bệnh nguy hiểm. Ngoài ra, việc quan trắc môi trường nước liên tục được duy trì với 11 đợt trong 6 tháng, giúp người nuôi kịp thời điều chỉnh quy trình chăm sóc. Cùng với đó, ngành chức năng đã cấp phát hóa chất xử lý môi trường, tổ chức tập huấn, tuyên truyền cho người dân. Đồng thời khuyến khích áp dụng quy trình nuôi an toàn sinh học, giảm mật độ nuôi, nâng cao chất lượng con giống. DUY MẠNH

SINGAPORE

Thúc đẩy nuôi tôm nội địa

Singapore vừa khởi động sáng kiến “One Piece of Shrimp” nhằm tăng mạnh sản lượng TTCT nội địa, hướng tới đáp ứng nhu cầu ngày càng cao từ các nhà hàng. Mục tiêu trước mắt là đạt sản lượng 2 tấn/tháng trong vòng 4 tháng, và xa hơn là 20 tấn/tháng. Hiện ba trang trại đang tham gia giai đoạn hoàn thiện hệ thống nuôi, tuân thủ nghiêm ngặt các tiêu chuẩn về thức ăn và môi trường. Singapore chưa có cơ sở sản xuất giống tôm, nên phải nhập từ Malaysia và Trung Quốc - lượng giống nhập hiện đã tăng gấp 4 lần. Cơ quan Thực phẩm Singapore đang tích cực tìm đối tác quốc tế để chuẩn bị cho việc tự sản xuất giống trong tương lai. Dự báo lượng tiêu thụ tôm tại các nhà hàng ổn định, mở ra triển vọng xây dựng chuỗi cung ứng khép kín, từ nuôi thương phẩm đến sản xuất giống ngay tại đảo quốc.

HONDURAS Ký thỏa thuận lịch sử xuất khẩu tôm sang Trung Quốc

Honduras vừa đạt bước ngoặt quan trọng trong quan hệ thương mại với Trung Quốc khi

ký kết thỏa thuận xuất khẩu 3.000 tấn tôm sang thị trường đông dân nhất thế giới. Lễ ký kết diễn ra trực tuyến giữa doanh nghiệp hai nước, dưới sự chứng kiến của Đại sứ Trung Quốc tại

Honduras Yu Bo và Đại sứ Honduras tại Trung

Quốc Salvador Moncada. Đây là thành quả nổi bật chỉ sau hơn hai năm thiết lập quan hệ ngoại giao. Tôm là mặt hàng đầu tiên của Honduras được phê duyệt tiêu chuẩn kiểm dịch để vào Trung Quốc, mở đường cho các sản phẩm thủy sản khác như tôm hùm, hải sâm và sứa. Phía Trung Quốc khẳng định sẽ tiếp tục hỗ trợ ngành tôm Honduras, với mục tiêu nâng kim ngạch thương mại lên tầm cao mới. Hai bên xem thỏa thuận này là “trái ngọt” đầu tiên trong tiến trình hợp tác và là bước tiến vững chắc để Trung Quốc trở thành thị trường xuất khẩu chủ lực của Honduras tại châu Á.

TRUNG QUỐC

Nhập khẩu tôm nửa đầu năm 2025 tiếp tục giảm

Trong 6 tháng đầu năm 2025, Trung Quốc

nhập khẩu 469.596 tấn tôm, giảm 2,8% so cùng kỳ, đánh dấu năm thứ hai liên tiếp sụt giảm. Trước đó, lượng tôm nhập khẩu trong nửa đầu năm 2024 đã giảm mạnh 11,3%. Nguyên nhân có thể đến từ việc điều chỉnh tồn kho sau giai đoạn nhu cầu tăng vọt hậu COVID-19 năm 2023, cùng với sức mua suy yếu do kinh tế tăng trưởng chậm lại, khiến người tiêu dùng thắt chặt chi tiêu, còn nhà nhập khẩu thì dè dặt trong quản lý tồn kho và kiểm soát chi phí. Song song, Trung Quốc đang đẩy mạnh phát triển sản xuất tôm nội địa nhằm giảm phụ thuộc vào nguồn cung nước ngoài. Ecuador vẫn là nhà cung cấp tôm lớn nhất, chiếm 68,1% tổng lượng nhập khẩu, gần như không thay đổi so với năm trước. Dù vậy, so với năm 2021, thị phần của Ecuador đã tăng thêm 10 điểm %, cho thấy khả năng thích ứng tốt với biến động thị trường.

 Mỹ và Trung Quốc vừa bước vào ngày đàm phán thứ hai tại Stockholm nhằm hạ nhiệt căng thẳng thuế quan kéo dài. Dù chưa có đột phá lớn, hai bên có thể gia hạn thêm 90 ngày lệnh ngừng áp thuế và mở đường cho cuộc gặp giữa Tổng thống Trump và Chủ tịch Tập Cận Bình cuối năm nay. Trung Quốc đối mặt với hạn chót 12/8 để đạt thỏa thuận thuế bền vững, nếu không, các mức thuế cao có thể quay trở lại, làm gián đoạn chuỗi cung ứng toàn cầu. Trong khi đó, các động thái chính trị của Mỹ liên quan đến Đài Loan và nhân quyền Trung Quốc có thể làm phức tạp tiến trình đàm phán.  Ngành khai thác tôm Argentina đang rơi vào khủng hoảng nghiêm trọng, khiến hơn 100 tàu phải nằm bờ và gây thiệt hại trên 200 triệu USD. Mâu thuẫn giữa các nghiệp đoàn về điều khoản tiền lương sản phẩm đã leo thang thành biểu tình và bạo động. Hai nghiệp đoàn SOMU và Simape phản đối đàm phán lại hợp đồng tập thể, trong khi doanh nghiệp cảnh báo chi phí lao động hiện không còn khả thi. Cuộc xung đột kéo dài đang ảnh hưởng đến khoảng 5.000 hộ gia đình và làm tê liệt hoạt động xuất khẩu tôm của nước này.

 Ấn Độ và Maldives vừa ký biên bản ghi nhớ nhằm thúc đẩy hợp tác trong lĩnh vực thủy sản và nuôi trồng thủy sản. Hai bên sẽ phối hợp phát triển nghề cá bền vững, đặc biệt là khai thác cá ngừ và nghề cá xa bờ, đồng thời hỗ trợ du lịch sinh thái và nghiên cứu khoa học. Maldives cũng lên kế hoạch đầu tư vào hạ tầng chế biến và phát triển giống nuôi. Sáng kiến này bao gồm các chương trình đào tạo, trao đổi kỹ thuật về an toàn sinh học, quản lý trang trại, kỹ thuật lạnh và kỹ thuật biển.

 Tập đoàn Corbion (trụ sở tại Amsterdam) vừa nhận được loạt phê duyệt từ Tổng cục Hải quan Trung Quốc (GACC), cho phép phân phối sản phẩm DHA chiết xuất từ vi tảo cho thị trường dinh dưỡng người và vật nuôi tại Trung Quốc. Các sản phẩm AlgaPrime DHA và AlgaVia DHA của hãng là nguồn omega-3 bền vững, sản xuất bằng công nghệ lên men vi tảo với mía đường và năng lượng tái tạo. Đây được xem là giải pháp thay thế dầu cá trong thức ăn thủy sản và phù hợp với xu hướng an toàn, bền vững tại Trung Quốc.

NHẬT BẢN

Phát triển công nghệ nuôi tôm tuần hoàn trên cạn

Ngày 22/7/2025, hai doanh nghiệp công nghệ

thủy sản hàng đầu Nhật Bản gồm ShrimpTech

JIRCAS (Ibaraki) và IMT Engineering (Tokyo)

đã ký thư bày tỏ ý định hợp tác chiến lược nhằm

thúc đẩy phát triển ngành nuôi tôm trên cạn sử

dụng hệ thống tuần hoàn (RAS). Dựa trên hơn 20 năm đồng hành nghiên cứu và đồng sáng chế hệ thống nuôi tôm trong nhà ISPS, hai bên sẽ kết hợp thế mạnh: IMT phụ trách thiết kế kỹ thuật và khảo sát hiện trường, còn ShrimpTech tập trung nghiên cứu và thương mại hóa công nghệ. Mục tiêu là đẩy mạnh nghiên cứu cơ bản và ứng dụng, thử nghiệm tính khả thi và phát triển các giải pháp thương mại hóa cho ngành tôm tuần hoàn không chỉ tại Nhật Bản mà còn vươn ra quốc tế. Hai bên cũng cam kết trao đổi nhân sự, đào tạo đội ngũ nghiên cứu và sẵn sàng tiếp nhận hợp tác từ các đối tác quan tâm đến phát triển thủy sản bền vững.

MỸ

Ngư dân hoan nghênh áp thuế tôm Việt Nam và Indonesia

Hiệp hội Tôm miền Nam Mỹ (SSA) hoan nghênh quyết định của Tổng thống Donald J. Trump áp thuế 19 - 20% đối với tôm nhập khẩu từ Việt Nam và Indonesia, thay thế mức thuế cũ 10%, coi đây là bước đi “sửa sai cần thiết” sau nhiều năm chính sách thương mại bất lợi. Theo SSA, động thái này giúp ngư dân Mỹ có cơ hội tăng sản lượng và vực dậy kinh tế vùng duyên hải sau hai mùa vụ gần như bị tê liệt. Thỏa thuận mới cũng buộc Việt Nam và Indonesia cam kết cải cách lao động, môi trường và chấm dứt tình trạng sử dụng lao động cưỡng bức, kháng sinh cấm và khai thác bất hợp pháp. Tuy nhiên, SSA cảnh báo nếu không sớm áp thuế với Ấn Độ và Ecuador - hai nước chiếm tới 64% tổng lượng tôm vào Mỹ năm 2024 - ngành tôm Mỹ sẽ tiếp tục khốn đốn.

Dù giá bán sỉ tụt mạnh, người tiêu dùng Mỹ vẫn phải mua tôm với giá cao, trong khi lợi nhuận rơi vào tay trung gian nước ngoài sử dụng lao động thiếu đạo đức.

MEXICO

Ngành tôm lao đao vì dịch bệnh và tôm lậu từ

Ecuador

 Từ tháng 1 đến tháng 5/2025, sản lượng bột cá và dầu cá toàn cầu giảm khoảng 2% so cùng kỳ năm trước, chủ yếu do sản lượng sụt giảm tại Peru và một số nước Bắc Âu. Trong khi đó, sản lượng tại Trung Quốc vẫn hạn chế do lệnh cấm khai thác ven biển, còn nhu cầu thức ăn thủy sản trong nước chưa tăng đáng kể. Mặc dù vậy, IFFO vẫn giữ nguyên dự báo năm 2025 với sản lượng bột cá đạt 5,6 triệu tấn và dầu cá đạt 1,2 - 1,3 triệu tấn. Triển vọng nửa cuối năm được kỳ vọng khả quan hơn nhờ chi phí thức ăn giảm và hoạt động thả giống tăng tại Trung Quốc.  Ngư dân khai thác tôm tại Bắc Carolina, Mỹ bất ngờ đối mặt nguy cơ mất kế sinh nhai vì đề xuất cấm kéo lưới tôm tại khu vực đánh bắt chính. Dù đề xuất chưa thành luật, nhưng đây chỉ là một trong nhiều nỗ lực từ các nhóm bảo tồn nhằm hạn chế hoạt động khai thác tôm vì lo ngại ảnh hưởng hệ sinh thái. Ngư dân địa phương còn chật vật cạnh tranh với tôm nhập khẩu giá rẻ từ Ấn Độ, Ecuador, Indonesia và Việt Nam. Thêm vào đó là rủi ro thời tiết, chi phí nhiên liệu cao và thiếu minh bạch trong việc ghi nhãn tôm nhập khẩu khiến ngành đánh bắt tôm địa phương ngày càng mong manh.

 Afghanistan vừa phê duyệt kế hoạch phát triển ngành nuôi trồng thủy sản thông qua đề án xây dựng 7.700 trang trại trên toàn quốc. Dự án kỳ vọng đáp ứng tới 90% nhu cầu thủy sản trong nước và tạo việc làm cho khoảng 300.000 lao động. Kế hoạch đang chờ Ủy ban Kinh tế thông qua chính thức sau khi điều chỉnh theo góp ý của Bộ Năng lượng và Nước.

Vụ nuôi đầu tiên năm 2025 tại bang Sinaloa (Mexico) dự kiến đạt 50.000 tấn tôm nuôi, song nông dân thủy sản đang chật vật vì giá lao dốc, dịch bệnh và cạnh tranh thiếu lành mạnh. Đến nay, hơn 30.000 tấn đã được thu hoạch, trong khi nhiều trại đang bắt đầu thả nuôi vụ hai. Tuy nhiên, cung vượt cầu khiến giá sụt giảm mạnh, trung bình mất khoảng 2,78 USD/kg chỉ trong hơn một tháng. Tình trạng tôm nhập lậu từ Ecuador dù đã bị cấm từ năm 2024 vẫn tràn vào thị trường do kiểm soát hải quan lỏng lẻo, khiến người nuôi nội địa thêm lao đao. Ngoài ra, dịch bệnh vẫn là thách thức lớn. Tỷ lệ sống trung bình chỉ đạt 50% do ảnh hưởng của hội chứng tôm chết sớm (EMS) và nhiều mầm bệnh mới chưa được kiểm soát hiệu quả, nhất là ở miền Nam Sinaloa và Nayarit.

TUẤN MINH

 Đại học Arkansas tại Pine Bluff (Mỹ) vừa hợp tác nghiên cứu với công ty giống tôm Infini-SEA để thúc đẩy đổi mới trong lĩnh vực nuôi trồng thủy sản. Dự án tập trung vào ba mũi nhọn: nghiên cứu hợp chất sinh học và nguyên liệu thức ăn thay thế; cải thiện di truyền tôm bằng công nghệ gen và dữ liệu thực địa; và ứng dụng trí tuệ nhân tạo (AI) trong giám sát, chọn giống. Infini-SEA hiện sở hữu công nghệ chọn giống hiện đại cho TTCT sạch bệnh (SPF) và hệ thống đánh giá giá trị di truyền bằng dữ liệu thực tế. Sự hợp tác kỳ vọng góp phần phát triển tôm giống khỏe, tăng trưởng nhanh, kháng bệnh tốt và phù hợp với sản xuất bền vững. 

Nhiều biến động khó lường

Hằng năm, vào thời điểm này, các doanh nghiệp tôm tập trung thu hoạch và chế biến để đáp ứng nhu cầu xuất khẩu. Tuy nhiên, năm nay, thị trường lại khá trầm lắng. Nguyên nhân là do doanh nghiệp đang lo ngại về những biến động khó lường từ các thị trường xuất khẩu chính.

Nguồn cung hạn chế

Tại các vùng nuôi, theo người dân, thời tiết năm 2025 khắc nghiệt hơn so với năm trước. Nhiệt độ thất thường, sáng nắng nóng, chiều mưa lớn đã ảnh hưởng nghiêm trọng đến sức khỏe của tôm. Sức đề kháng của tôm giảm, dẫn đến dịch bệnh bùng phát, gây ảnh hưởng nghiêm trọng. Những ngày qua, ghi nhận tại TP Hồ

Chí Minh, thời tiết cực đoan đã gây ra nhiều ổ dịch trên tôm. Điển hình như xã Hồ Tràm (trước đây là xã Phước Thuận, huyện Xuyên Mộc, Bà Rịa - Vũng Tàu cũ) phát sinh 5 ổ dịch hoại tử gan tụy trên

TTCT nuôi thương phẩm. Còn tại phường

Phước Thắng (trước là phường 12, TP Vũng Tàu), 8 mẫu tôm giống bị nhiễm bệnh vi bào tử trùng (EHP). Các bệnh trên tôm

được chia thành ba nhóm chính: do ký

sinh trùng, vi khuẩn và virus. Trong đó, các bệnh như đốm trắng, phân trắng, vi bào tử trùng đặc biệt khó điều trị và gây tỷ lệ chết cao trên tôm.

Vì vậy, dù cho giá tôm ổn định, nhưng nhiều hộ dân vẫn thận trọng trong việc thả nuôi. Bên cạnh đó, việc đại lý thu hẹp lượng khách hàng đầu tư khiến số hộ nuôi tôm nhỏ lẻ thiếu vốn không có điều kiện thả nuôi tiếp. Đặc biệt, sự bất ổn của thị trường tiêu thụ cũng khiến người nuôi dè dặt, đắn đo trong việc xuống giống.

Anh Nguyễn Văn Quý, một đại lý thu mua tôm và cũng là hộ nuôi có quy mô khá lớn ở phường Khánh Hòa, TP Cần Thơ, cho biết: “Do tâm lý chưa có gì chắc chắn về giá tôm nên nhiều người chỉ dám thả nuôi cầm chừng, chứ không dám thả hết diện tích. Bởi vậy, lượng tôm mà tôi thu mua mỗi

ngày từ tháng 5 đến nay là không nhiều so với mọi năm. Mặc dù vậy, thực tế đến thời điểm hiện tại, ai có tôm bán đều có lợi nhuận khá”.

Việc người nuôi tôm thận trọng trong việc thả nuôi đã dẫn đến nguồn cung tôm bị hạn chế, tuy nhiên, sự khan hiếm này, kết hợp với nhu cầu tiêu thụ trong nước ổn định, đã giúp duy trì mức giá có lợi cho người nuôi.

Theo ông Võ Văn Phục, Tổng Giám đốc Công ty CP Thủy sản sạch Việt Nam, dự báo giá tôm cỡ lớn và cỡ nhỏ tới đây nhiều khả năng sẽ giảm, còn giá tôm cỡ trung (4070 con/kg) vẫn giữ giá tốt. Nguyên nhân là do doanh nghiệp tập trung chế biến tôm giá trị gia tăng phục vụ các đơn hàng dịp lễ Tết cuối năm, nên phân khúc này vẫn đang được doanh nghiệp thu mua mạnh.

chuyển hướng

thị trường

Bên cạnh không khí khá trầm lắng tại các vùng nuôi thì hiện một số doanh nghiệp xuất khẩu tôm cũng đang có xu hướng thận trọng, không đẩy mạnh hoạt

động như mọi năm.

Số liệu của Hiệp hội Chế biến và Xuất khẩu Thủy sản Việt Nam (VASEP) cho thấy, tháng 7/2025, kim ngạch xuất khẩu thủy sản Việt Nam đạt 971 triệu USD, tăng 6,1% so cùng kỳ năm trước. Lũy kế 7 tháng đầu năm 2025, giá trị xuất khẩu đạt 6,22 tỷ USD, tăng trưởng mạnh 17,2%. Trong đó, tôm tiếp tục là mặt hàng xuất khẩu chủ lực, đạt 2,5 tỷ USD.

Dù xuất khẩu tăng trưởng tốt nhưng tôm Việt Nam đang đối mặt với nhiều thách thức khi các thị trường xuất khẩu ngày càng siết chặt tiêu chuẩn kỹ thuật, kiểm dịch và yêu cầu về phát triển bền vững. Bên cạnh đó, biến đổi khí hậu, ô nhiễm nguồn nước và dịch bệnh, gây ảnh

hưởng lớn về sản lượng và chất lượng. Đồng thời, tôm Việt còn chịu sự cạnh tranh gay gắt từ các nước cung cấp khác như Ấn Độ, Ecuador và Indonesia.

Trong bối cảnh này, việc linh hoạt thị trường xuất khẩu đang được các doanh nghiệp hướng đến. Ngay từ khi thuế đối ứng tại thị trường Mỹ được ban hành, doanh nghiệp đã chủ động chuyển hướng sang một số thị trường lớn khác.

Đơn cử như Công ty CP Thực phẩm Sao Ta đã từng công bố, doanh nghiệp hiện đã có đủ đơn hàng sản xuất từ nay đến cuối năm. Tuy nhiên, theo Cục Thủy sản, dù các doanh nghiệp đã có sự chủ động trong đa dạng hóa thị trường tiêu thụ, nhưng giá tôm trong nước lẫn xuất khẩu tới đây dự báo vẫn phải đối mặt với nhiều thách thức từ thị trường xuất khẩu, đặc biệt là thị trường Mỹ.

Mặc dù vậy, VASEP nhận định, những tháng cuối năm 2025, bên cạnh thách thức, ngành tôm vẫn có những cơ hội nhất định. Sự hồi phục mạnh mẽ của thị trường Trung Quốc, ASEAN và Nhật Bản, cùng với tín hiệu gỡ bỏ rào cản kỹ thuật từ EU, mở ra dư địa tăng trưởng

cho các dòng sản phẩm chế biến sâu. Các hiệp định thương mại như EVFTA, CPTPP, UKVFTA tiếp tục tạo lợi thế thuế quan vượt trội so với các nước đối thủ.

Bên cạnh đó, dù mức thuế đối ứng tại thị trường Mỹ đã được công bố, nhưng việc đàm phán vẫn đang tiếp diễn. Các doanh nghiệp xuất khẩu tôm vẫn hy vọng chính sách thuế quan của Mỹ với Việt Nam sẽ tiếp tục được đàm phán để đi đến điều chỉnh giảm hơn nữa trong thời gian tới.

Còn hiện hữu khó khăn

Theo cập nhật của phóng viên Đặc san Con Tôm, từ đầu tháng 8 đến nay, giá TTCT tại khu vực ĐBSCL vẫn duy trì khá tốt và với mức giá hiện tại, chỉ cần tôm đạt tỷ lệ sống cao, tăng trưởng tốt thì người nuôi đã có lợi nhuận khá.

Còn theo báo cáo của Cục Thủy sản, sản lượng TTCT trong 7 tháng đầu năm 2025 ước đạt 506.100 tấn, tăng 7,2% và sản lượng tôm sú ước đạt 155.000 tấn, tăng 3,4% so cùng kỳ năm trước.

Hiện nay, diện tích đang nuôi không còn nhiều, nhưng nguồn cung tôm nguyên liệu vẫn đủ đáp ứng nhu cầu cao điểm của các doanh nghiệp chế biến. Bởi các doanh nghiệp đang thận trọng hơn trong việc ký kết hợp đồng với đối tác Mỹ do nhiều yếu tố, bao gồm cả thuế quan và lượng hàng tồn kho lớn tại Mỹ.

Không chỉ có doanh nghiệp dè dặt, mà người nuôi tôm cũng phần nào thận trọng từ sau đợt thu hoạch đầu tiên trong năm. Điều này khiến cho vụ tôm nước lợ 2025 gần như không có một cao điểm thu hoạch nào đáng kể, mà chủ yếu thu rải rác ở nhiều thời điểm khác nhau từ đầu năm đến nay.

Mặc dù sản lượng tôm nuôi trong 7 tháng đầu năm 2025 có tăng trưởng, nhưng việc đạt mục tiêu cả năm đang gặp khó khăn do diện tích nuôi bị thu hẹp. Một mùa nuôi tôm đầy thách thức nữa sắp kết thúc, và cả người nuôi lẫn doanh nghiệp đều không có bất kỳ nhận định tích cực nào về kết quả. Điều này cho thấy sự bất ổn và khó khăn vẫn còn hiện hữu trong ngành.

AN XUYÊN

 Ngành tôm cần có những giải pháp tổng thể và đồng bộ để vượt qua các thách thức, tận dụng các cơ hội, và đạt được mục tiêu phát triển bền vững. Việc chuyển đổi từ tư duy sản lượng sang chất lượng, từ sản xuất truyền thống sang sản xuất ứng dụng công nghệ, và từ thị trường đơn lẻ sang đa dạng hóa thị trường là chìa khóa để con tôm Việt Nam tiếp tục phát triển trong tương lai.

CON SỐ

Là kim ngạch xuất khẩu tôm 7 tháng đầu năm 2025, tăng 24% so cùng kỳ năm trước.

Là sản lượng tôm sú trong tháng 7/2025, tăng 2,9% so cùng kỳ năm trước.

Là số lượng trại tôm

đạt chứng nhận ASC của Việt Nam tính đến năm 2024, chiếm gần 44% tổng số trại trên toàn cầu

Là số cơ sở nuôi tôm của tỉnh Quảng Ninh hiện nay, phân bố chủ yếu tại các địa phương ven biển.

Là diện tích nuôi tôm của tỉnh Cà Mau (mới), đây cũng là địa phương có diện tích nuôi tôm lớn nhất Việt Nam.

Với hơn 100 triệu dân, thị trường nội địa ngày càng có vị trí quan trọng trong việc góp phần tiêu thụ tôm, ổn định giá cả và đảm bảo lợi nhuận cho người nuôi. Hay nói cách khác, việc đẩy mạnh tiêu thụ nội địa là một trong những giải pháp chiến lược phát triển ngành tôm hiệu quả và bền vững.

Nhu cầu tăng

Thị trường xuất khẩu từ trước đến nay vẫn là động lực chính thúc đẩy tăng trưởng kinh tế, đặc biệt đối với các ngành sản xuất và nông nghiệp. Tuy nhiên, trong những năm gần đây, sức mua và nhu cầu tiêu dùng trong nước đã tăng lên đáng kể, và trở thành một trong những kênh tiêu thụ quan trọng, góp phần ổn định giá tôm trong nước và giảm thiểu rủi ro cho người nuôi mỗi khi thị trường xuất khẩu biến động.

Theo ước tính của các doanh nghiệp, sản lượng tôm tiêu thụ nội địa hàng năm đã vượt mức 100.000 tấn, tức chiếm khoảng 10% tổng sản lượng tôm cả nước. Và dự báo, với tỷ lệ dân số có mức thu nhập trung bình trở lên đang trên đà tăng, cùng nhu cầu về thực phẩm dinh dưỡng cao, an toàn, dễ chế biến, có giá thành phù hợp thì

chỉ trong một vài năm tới, con số này sẽ đạt khoảng 200.000 tấn trở lên.

Không những thế mà hiện nay, nhiều hộ còn chuyển sang hình thức nuôi tôm chuyên bán tươi, phục vụ tiêu thụ nội địa để có mức lợi nhuận cao hơn. Thậm chí, ngay cả doanh nghiệp chế biến, xuất khẩu có diện tích nuôi tôm lớn cũng áp dụng giải pháp này đối với một số kích cỡ tôm xuất khẩu có giá thấp để tối ưu hóa lợi nhuận trong sản xuất, kinh doanh.

Chưa xứng tiềm năng Theo đại diện Hiệp hội Chế biến và Xuất khẩu Thủy sản Việt Nam (VASEP), dù nhu cầu và khối lượng các mặt hàng thủy sản

Hiện, thị trường nội địa đóng vai trò quan trọng trong việc tiêu thụ tôm, đặc biệt là các loại TTCT cỡ nhỏ đến cỡ trung và tôm sú cỡ trung đến cỡ lớn nhờ giá cả phù hợp với thu nhập của người tiêu dùng. Việc tiêu thụ tôm ngày nay đã không còn được xem là xa xỉ, bởi nếu so sánh giữa giá TTCT cỡ 60 con/kg với giá thịt heo tại các siêu thị hay chợ truyền thống sẽ thấy gần như không có sự chênh lệch lớn, trong khi tôm lại có giá trị dinh dưỡng cao hơn và có thể chế biến thành nhiều món ăn không thua kém gì thịt heo hay một số vật nuôi khác. Chính tâm lý chuộng tôm tươi sống của người tiêu dùng, nên giá tôm tiêu thụ tại trường nội địa luôn cao hơn giá tôm bán cho các nhà máy xuất khẩu. Thông thường, giá 1 kg tôm tươi sống bán tại ao luôn cao hơn tôm ướp đá từ 5.000 - 10.000 đồng/kg cho cùng một kích cỡ. Đặc biệt, đối với những hộ nuôi với mật độ cao, thu tỉa theo từng giai đoạn, thì việc bán tôm tươi lúc thu tỉa được xem là một giải pháp hiệu quả nhất.

Doanh nghiệp trong nước
Minh Phú

tiêu thụ trong nước ngày càng tăng nhưng vẫn chưa tương xứng với tiềm năng và dư địa còn lớn, bởi số người gia nhập tầng lớp trung lưu ngày càng gia tăng.

VASEP nhận định, trong kênh phân phối hiện đại trong nước, tỷ trọng thủy sản nội địa chiếm khoảng 60 - 70% với các mặt hàng chủ lực như: tôm, cá ba sa, mực, các loại cá biển; thủy sản nhập khẩu vẫn chiếm 30 - 40%.

Dù có nhiều tiềm năng, nhưng các doanh nghiệp trong nước lại khá chật vật khi tìm chỗ đứng trên sân nhà. Lý do được nhiều doanh nghiệp phản ánh là sản phẩm của họ bán ở thị trường nội địa đạt chuẩn xuất khẩu thì giá cao hơn thông thường, khoảng hơn 20% và không thể cạnh tranh với những sản phẩm khác, đặc biệt là ở chợ truyền thống.

Bên cạnh đó, mặc dù thị trường nội địa có nhu cầu đa dạng về kích cỡ tôm, nhưng chủ yếu vẫn ưa chuộng tôm tươi sống. Điều này tạo ra một bất lợi lớn bởi tôm tươi sống đòi hỏi quy trình bảo quản, vận chuyển kỹ lưỡng hơn, từ đó làm tăng giá thành sản phẩm. Ngoài ra, dù các thương lái có áp dụng hình thức kiểm tra kháng sinh để phân loại và trả giá cao hơn cho tôm không chứa kháng sinh, nhưng đa số người nuôi vẫn chọn cách bán nhanh, gọn theo màu sắc tôm. Điều này dẫn đến việc tôm có thể bị nhiễm kháng sinh vẫn được tiêu thụ trên thị trường, gây ra nhiều hệ lụy cho sức khỏe người tiêu dùng và uy tín của ngành tôm Việt Nam.

Vấn đề nữa là, việc bán tôm tươi để tiêu thụ trong nước có bất lợi là số lượng cung cấp thường thấp, thời gian thu hoạch kéo dài nên nguồn cung chủ yếu đến từ việc thu tỉa hoặc các hộ nuôi nhỏ lẻ trong ao đất.

Chủ động xây dựng chiến lược riêng

Trao đổi với phóng viên Đặc san Con Tôm về tình hình tiêu thụ tôm tại thị

ÔNG LÊ VĂN QUANG, TỔNG GIÁM ĐỐC CÔNG TY CP TẬP ĐOÀN

THỦY SẢN MINH PHÚ

Gia tăng thị phần nội địa

Thị trường nội địa có dân số đông, tiêu thụ tôm rất tốt.

Vì thế để tạo sự khác biệt, gần đây, Minh Phú đã nghiên cứu

thành công và nuôi tôm theo công nghệ sinh học MPBiO, bảo đảm không kháng sinh, không hóa chất nhưng vẫn đạt chất lượng cao và giá thành rẻ. Đây là cơ sở quan trọng để sản phẩm của công ty gia tăng trở lại sự hiện diện ở thị trường nội địa. Kế hoạch sắp tới, Minh Phú đặt mục tiêu gia tăng thị phần nội địa từ 5 - 10% so với mức hiện tại.

ÔNG HUỲNH MINH TƯỜNG, PHÓ CHỦ TỊCH VASEP

Phát triển một cách bài bản

Thực tế hiện nay, thị trường xuất khẩu đang gặp khó khăn. Trong khi đó, tại thị trường nội địa, cơ quan quản lý đang đẩy mạnh kiểm soát chất lượng vệ sinh an toàn thực phẩm. Đây chính là thời điểm vàng cho các doanh nghiệp xuất khẩu đưa sản phẩm chất lượng cao ra thị trường nội địa. Do đó, các doanh nghiệp cần nhìn nhận lại chiến lược và phát triển thị trường trong nước một cách bài bản, chuyên nghiệp hơn, vượt qua trở ngại về giá trước đây.

Một thương lái khẳng định: “Tôm đúng kích cỡ, tươi sống, không kháng sinh thì gần như lúc nào cũng bán được giá cao và cao nhất là vào mùa cao điểm du lịch hay các dịp lễ Tết, cuối năm,…”.

Có thể thấy, trong bối cảnh ngành thủy sản Việt Nam đang gặp nhiều khó khăn từ các thị trường xuất khẩu chủ lực như Mỹ, EU, Trung Quốc,… do các yếu tố như rào cản kỹ thuật, thuế quan và nhu cầu tiêu dùng biến động, việc khai thác hiệu quả thị trường trong nước được xem là chiến lược thiết yếu.

Phát biểu tại Hội nghị “Thúc đẩy tiêu thụ thủy sản phục vụ nhu cầu trong nước” do Cục Quản lý và Phát triển thị trường trong nước (Bộ Công Thương) phối hợp với VASEP và Hiệp hội các nhà bán lẻ Việt Nam tổ chức ngày 01/8, tại TP Hồ Chí Minh, ông Trần Hữu Linh, Cục trưởng Cục Quản lý và

Phát triển thị trường trong nước (Bộ Công Thương), nhấn mạnh thị trường nội địa không chỉ là “bệ đỡ” trong bối cảnh xuất khẩu gặp khó, mà cần được xác định là một chiến lược dài hạn, mang tính nền tảng đối với sự phát triển bền vững của ngành thủy sản.

Các doanh nghiệp không thể tiếp tục xem tiêu dùng trong nước là kênh phụ, hay nơi tiêu thụ sản phẩm xuất khẩu dư thừa, mà cần chủ động xây dựng chiến lược riêng cho thị trường này, với đầy đủ các khâu từ nuôi trồng, sản xuất, phân phối đến hậu kiểm. Doanh nghiệp cần tăng cường nghiên cứu thị hiếu, khẩu vị và xu hướng tiêu dùng mới, đồng thời đa dạng hóa sản phẩm để tiếp cận rộng rãi hơn các nhóm khách hàng, đặc biệt là tầng lớp trung lưu đang gia tăng nhanh chóng.

XUÂN TRƯỜNG

 Để chinh phục người tiêu dùng trong nước, doanh nghiệp phải đầu tư nghiêm túc không kém gì thị trường quốc tế, từ nghiên cứu sản phẩm, thiết kế bao bì, marketing, đến phát triển hệ thống phân phối phù hợp. trường nội địa, các thương lái đều cho biết, những năm gần đây, nhu cầu tiêu thụ tôm nội địa chỉ có tăng chứ ít khi giảm, do giá tôm gần như ngang bằng, thậm chí có lúc thấp hơn một số loại thực phẩm khác. Đặc biệt là tôm kiểm không có kháng sinh được các nhà hàng, quán ăn lớn tại các địa bàn đông khách du lịch tiêu thụ khá lớn. Thị trường tiêu thụ lớn nhất vẫn là chợ Bình Điền, TP Hồ Chí Minh, một số tỉnh phía Bắc và cả khu vực miền Trung.

Ảnh: Nhật Hồ

Khó khăn trong công tác phòng, chống dịch bệnh thủy sản

Theo Bộ Nông nghiệp và Môi trường, trong 5 năm qua, dịch bệnh trên động vật thủy sản được

soát khá tốt, tuy nhiên, vẫn còn nhiều khó khăn bủa vây khiến cho công tác phòng, chống dịch bệnh gặp trở ngại, hiệu quả không như mong muốn.

Ngăn chặn được nhiều

bệnh nguy hiểm

Theo số liệu của Bộ Nông nghiệp và Môi trường (tại Phụ lục I Công văn số 1319/BNNMTTSKN của Bộ trưởng Bộ Nông nghiệp và Môi trường ngày 21/4/2025 về việc tăng cường công tác quan trắc, cảnh báo môi trường và phòng, chống dịch bệnh trong nuôi trồng thủy sản năm 2025), đến hết 31/12/2024, cả nước đã có 41/63 tỉnh, thành phố ban hành Kế hoạch phòng, chống dịch bệnh thủy sản, trong đó có 19 tỉnh, thành phố bố trí gần 30 tỷ đồng; Đã ngăn chặn nhiều loại bệnh nguy hiểm mới nổi trên thủy sản, không để xâm nhiễm vào trong nước (Taura, đầu vàng, DIV1, hoại tử cơ do virus IMNV,...).

Ngành thủy sản cũng đã kiểm soát được nhiều loại dịch bệnh nguy hiểm đang lưu hành trong nước (đốm trắng, hoại tử gan tụy cấp tính, hoại tử cơ quan tạo máu và cơ quan biểu mô do IHHNV trên tôm, bệnh sữa trên tôm hùm, hoại tử thần kinh trên cá biển, hoại tử cơ quan tạo máu trên cá nước lạnh,...), giảm thiểu thiệt hại do nguyên nhân dịch bệnh gây ra.

Cùng đó, xây dựng, công nhận 31 cơ sở an toàn dịch bệnh động vật thủy sản. Trong đó có 24 cơ sở sản xuất tôm giống, hàng năm cung cấp khoảng 40 tỷ tôm giống sạch bệnh cho người nuôi; 2 cơ sở sản xuất giống tôm bố mẹ; 5 cơ sở nuôi tôm thương phẩm; 1 cơ sở sản xuất cá cảnh

xuất khẩu và 1 cơ sở sản xuất cá cảnh xuất khẩu.

Từng bước đưa công tác giám sát dịch bệnh chủ động

vào thành hoạt động thường

xuyên, định kỳ (mặc dù ngân sách nhà nước cấp cho các hoạt

động này chưa nhiều, chưa đáp ứng yêu cầu thực tiễn sản xuất theo đúng quy định); cùng với

công tác quan trắc môi trường

vùng nuôi thủy sản để đưa ra dự báo, cảnh báo về nguy cơ dịch

bệnh, giúp người nuôi chủ động

ứng phó, giảm thiểu thiệt hại do dịch bệnh gây ra.

Xây dựng được hệ thống các

phòng xét nghiệm bệnh thủy

sản (áp dụng Hệ thống quản lý chất lượng ISO 17025, sử dụng

các quy trình xét nghiệm theo hướng dẫn của WOAH/NACA),

thực hiện được hầu hết các bệnh trên thủy sản, đáp ứng yêu cầu sản xuất.

Thêm vào đó, công tác đào tạo tập huấn chuyên môn, nghiệp vụ cho nhân viên thú y trong hệ thống thú y thủy sản các cấp, hướng dẫn kỹ thuật cho người nuôi được tổ chức bài bản, định kỳ; các hoạt động thông tin, tuyên truyền về phòng, chống dịch bệnh thủy sản, phổ biến các quy định của pháp luật trong công tác thú y thủy sản được đẩy mạnh và triển khai nghiêm túc.

Điểm danh những

khó khăn, vướng mắc

Theo Bộ Nông nghiệp và Môi trường, hiện nay, việc tuân thủ quy định của pháp luật về

phòng chống dịch bệnh, báo cáo dịch bệnh thủy sản chưa được thực hiện nghiêm túc; nhiều ổ dịch nguy hiểm trên động vật thủy sản chưa được người nuôi báo cáo cho nhân viên thú y hoặc chính quyền địa phương; nhiều tổ chức, cá nhân (đặc biệt là nhân viên kỹ thuật của các công ty/đại lý cung cấp vật tư cho người nuôi tôm) khi nhận được thông báo dịch bệnh từ người nuôi cũng không báo cáo, chia sẻ cho cơ quan chức năng theo quy định của pháp luật về thú y. Việc thu thập số liệu về thiệt hại, dịch bệnh, tổ chức lấy mẫu, xét nghiệm xác định nguyên nhân thường không kịp thời và gặp rất nhiều khó khăn; khi xảy ra hiện tượng thủy sản chết, có dấu hiệu bất thường hoặc có bệnh, người nuôi hầu như không khai báo với nhân viên thú y hoặc chính quyền địa phương mà chủ yếu thông báo cho nhân viên kỹ thuật của các công ty, đại lý trực tiếp cung cấp vật tư cho người nuôi tôm (tôm giống, thuốc thú y thủy sản, thức ăn thủy sản,...) để được tư vấn, hỗ trợ vật tư, hóa chất, chế phẩm xử lý ao nuôi. Tự ý xả thải không qua xử lý làm lây lan dịch bệnh và ô nhiễm môi trường.

Nhân lực cho công tác thú y thủy sản tại nhiều địa phương chưa được quan tâm đúng mức, nhiều địa phương không có nhân viên thú y xã,... Do vậy, hệ thống báo cáo dịch bệnh bị đứt quãng, phải qua nhiều cấp

trung gian và không được thực hiện thường xuyên.

Chưa kể, nguồn kinh phí cho công tác thú y thủy sản chưa đáp ứng yêu cầu để triển khai các hoạt động chuyên môn, ngân sách bố trí cho phòng chống dịch bệnh thủy sản rất thấp; chưa có cơ chế, chính sách hỗ trợ vật tư, hóa chất cho người nuôi (đặc biệt là hộ nuôi tôm) xử lý dịch bệnh để khuyến khích người nuôi chủ động khai báo dịch bệnh; do vậy hiện tượng người nuôi tôm không khai báo dịch và tự xử lý dịch bệnh là khá phổ biến.

Chính vì thế, Bộ Nông nghiệp và Môi trường đề nghị

UBND các tỉnh, thành phố trực thuộc Trung ương thiết lập

“đường dây nóng” để tiếp nhận, xử lý kịp thời khi xảy ra bệnh, thủy sản nuôi chết hoặc có dấu

hiệu bất thường tại cơ sở; kịp thời báo cáo cho cơ quan cấp trên (Cục Thủy sản và Kiểm ngư)

để phối hợp xử lý với các trường hợp bệnh mới, chưa rõ nguyên nhân, tác nhân.

Tổ chức giám sát bệnh chủ

động, điều tra dịch tễ, chẩn đoán xét nghiệm xác định nguyên nhân dịch bệnh; xây dựng cơ sở, vùng an toàn dịch bệnh để tạo thuận lợi cho người dân, doanh nghiệp; đảm bảo công tác kiểm dịch giống hiệu quả và giống xuất tỉnh phải

được giám sát hoặc kiểm tra xét nghiệm bệnh trước khi cấp giấy chứng nhận kiểm dịch; xây dựng cơ sở sản xuất giống, nuôi thương phẩm an toàn sinh học và an toàn dịch bệnh.

Đồng thời, bố trí nguồn lực

để tổ chức triển khai có hiệu quả Kế hoạch quốc gia phòng, chống một số dịch bệnh nguy hiểm trên thủy sản nuôi giai

đoạn 2021 - 2030 theo Quyết định số 434/QĐ-TTg. Đặc biệt, chấn chỉnh công tác thống kê, báo cáo số liệu dịch bệnh thủy sản, đặc biệt tại cấp thôn, xã; rà soát chấn chỉnh hoạt động xét nghiệm bệnh trên địa bàn tỉnh,… HỒNG HÀ

 Ngày 5/6/2025, Chính phủ ban hành Nghị định số 116/2025/NĐ-CP quy định về chính sách hỗ trợ khắc phục dịch bệnh động vật. Trong đó, riêng với con tôm, mức hỗ trợ thực hiện như sau: Tôm hùm giống: 10.000 đồng/con; Tôm giống (TTCT, tôm sú) từ giai đoạn hậu ấu trùng Postlarvae 12 trở lên: 10.000.000 đồng/1 triệu con; Diện tích nuôi tôm sú quảng canh (nuôi tôm - lúa, tôm sinh thái, tôm - rừng, tôm kết hợp): 9.000.000 đồng/ ha; Diện tích nuôi tôm sú (bán thâm canh, thâm canh): 12.000.000 đồng/ha; Diện tích nuôi TTCT: 20.000.000 đồng/ ha (mật độ nuôi từ 50 - 100 con/m2); 30.000.000 đồng/ha (mật độ nuôi từ trên 100 - 250 con/m2); 50.000.000 đồng/ ha (mật độ nuôi từ trên 250 con/m2). Việc hỗ trợ thực hiện theo nguyên tắc: Nhà nước hỗ trợ một phần thiệt hại do dịch bệnh động vật, không đền bù thiệt hại; Thực hiện hỗ trợ công

khai, minh bạch, kịp thời, đủ

điều kiện, đúng đối tượng, đúng định mức, phù hợp với

điều kiện thực tế của địa

phương, không để xảy ra trục

lợi chính sách, tiêu cực, lãng

phí; Trường hợp cơ sở sản xuất và người tham gia khắc phục

bệnh động vật đồng thời đáp

ứng điều kiện của các mức hỗ

trợ khác nhau trong cùng một

nội dung hỗ trợ theo quy định

tại Nghị định này và quy định

của pháp luật khác có liên quan

thì được hưởng một mức hỗ trợ cao nhất.

 Ngày 27/6/2025, Bộ

Công Thương ban hành

Quyết định số 1845/QĐ-BCT

về việc công bố thủ tục hành

chính mới ban hành và sửa

đổi, bổ sung trong lĩnh vực xuất nhập khẩu thuộc phạm vi chức năng quản lý của Bộ

Công Thương. Theo Quyết định

này, danh mục thủ tục hành

VĂN BẢN MỚI

chính áp dụng tại cả cấp trung ương và địa phương đã được rà soát và công bố chính thức. Cụ thể, một thủ tục hành chính hoàn toàn mới được bổ sung là việc cấp Giấy chứng nhận xuất xứ hàng hóa (C/O). Đồng thời, sửa đổi, bổ sung 35 thủ tục hành chính hiện hành, chủ yếu liên quan đến việc cấp C/O theo các Hiệp định thương mại tự do (FTA). Các thủ tục này bao gồm cả mẫu C/O ưu đãi như D, E, AK, CPTPP, RCEP, EUR.1 và các mẫu đặc thù như ICO dành cho cà phê xuất khẩu, DA59 áp dụng với hàng hóa xuất khẩu sang thị trường châu Phi. Doanh nghiệp được khuyến khích khai báo hồ sơ qua Hệ thống quản lý và cấp C/O điện tử (eCoSys). Thời gian giải quyết hồ sơ cũng được rút

ngắn đáng kể: 6 giờ làm việc với hồ sơ điện tử đầy đủ và hợp lệ, 2 giờ với hồ sơ giấy hợp lệ và tối

đa 24 giờ nếu gửi qua bưu điện.

 Ngày 01/7/2025, Bộ

Tài chính ban hành Thông

tư số 69/2025/TT-BTC quy

định chi tiết một số điều của

Luật Thuế gia trị gia tăng và

hướng dẫn thực hiện Nghị

định số 181/2025/NĐ-CP

ngày 01/7/2025 của Chính

phủ quy định chi tiết thi hành một số điều của Luật

Thuế gia trị gia tăng. Cụ thể, Thông tư này quy định chi tiết

về hồ sơ, thủ tục xác định đối

tượng không chịu thuế giá trị gia tăng tại Điều 5, hồ sơ, thủ tục áp dụng thuế suất giá trị gia tăng 0% tại khoản 1 Điều 9, nhóm hàng hóa, dịch vụ thuộc

đối tượng áp dụng theo tỷ lệ tại điểm b khoản 2 Điều 12, chứng

từ nộp thuế giá trị gia tăng thay cho phía nước ngoài tại điểm a khoản 2 Điều 14 của Luật Thuế giá trị gia tăng; cách xác định số thuế giá trị gia tăng được hoàn đối với hàng hóa, dịch vụ xuất khẩu tại khoản 2 Điều 29, cách xác định số thuế giá trị gia tăng được hoàn đối với hoạt

động sản xuất hàng hóa, cung cấp dịch vụ chịu thuế suất thuế giá trị gia tăng 5% tại Điều 31, thuế giá trị gia tăng áp dụng đối với tổ chức, cá nhân nước ngoài kinh doanh tại Việt Nam tại Điều 13, khoản 1, khoản 2 Điều

40 Nghị định số 181/2025/NĐCP ngày 01/7/2025 của Chính phủ quy định chi tiết thi hành một số điều của Luật Thuế giá trị gia tăng. Thông tư này có hiệu lực thi hành từ ngày ký.

 Ngày 30/7/2025, Hiệp hội Chế biến và Xuất khẩu Thủy sản Việt Nam (VASEP) đã có Công văn số 131/CV-VASEP gửi tới Văn phòng Chính phủ, Bộ Tài chính và các Bộ, ngành về việc tháo gỡ vướng mắc liên quan đến thuế suất GTGT đối với sản phẩm thủy sản và thủ tục hoàn thuế của doanh nghiệp. Cụ thể, các vướng mắc liên quan đến chính sách thuế GTGT đối với sản phẩm thủy sản và thủ tục hoàn thuế của doanh nghiệp, gồm: Vướng mắc về thuế suất GTGT cho sản phẩm thủy sản đông lạnh; Điều kiện hoàn thuế GTGT; Thuế suất GTGT đối với bột cá, mỡ cá; Khấu trừ thuế GTGT đối với hàng xuất khẩu qua sàn thương mại điện tử; Thuế GTGT đối với hợp tác với hộ dân trong chuỗi cung ứng; Phân bổ thuế GTGT đầu vào phức tạp; Bất cập trong xử phạt vi phạm hành chính đối với sai sót khi kê khai thuế. Theo VASEP, các bất cập về thuế GTGT và thủ tục hoàn thuế đang gây khó khăn cho doanh nghiệp thủy sản, làm tăng chi phí, giảm tính minh bạch và ảnh hưởng đến năng lực cạnh tranh của doanh nghiệp. VASEP trân trọng đề nghị Văn phòng Chính phủ, Bộ Tài chính cũng như các Bộ, ngành quan tâm, giải quyết các kiến nghị nêu trên nhằm tạo điều kiện thuận lợi cho doanh nghiệp trong sản xuất, kinh doanh. 

Ngành tôm xoay chuyển thế cục, thay đổi để giữ thị trường Mỹ

Xuất khẩu tôm của Việt Nam đang tăng trưởng mạnh tại thị trường châu Á. Cùng với đó, các doanh nghiệp cũng tận dụng thế mạnh của con tôm Việt để đứng vững tại thị trường Mỹ.

Bùng nổ tại châu Á

Mới đây, Hiệp hội Chế biến và Xuất khẩu

Thủy sản Việt Nam (VASEP) đã công bố báo cáo xuất khẩu tháng 7/2025. Theo đó, kim ngạch xuất khẩu tôm tháng 7 đạt 410 triệu USD, tăng 9% so cùng kỳ năm trước. Lũy kế 7 tháng đầu năm 2025, xuất khẩu tôm đạt 2,5 tỷ USD, tăng 24%.

Trong cơ cấu thị trường, Trung Quốc tiếp tục dẫn đầu với kim ngạch 710 triệu USD,

tăng 78% và chiếm 29% tổng kim ngạch xuất khẩu toàn ngành. Riêng tháng 7 đạt 115 triệu USD, tăng 63% so cùng kỳ nhờ nhu cầu tiêu thụ mạnh (đặc biệt với sản phẩm tôm hùm), cùng lợi thế địa lý và chi phí logistics thấp.

Khối CPTPP ghi nhận đạt 699 triệu USD, tăng 36% so cùng kỳ, chiếm 28%. Trong đó, Nhật Bản là thị trường lớn nhất trong khối đạt 320 triệu USD (tăng 15%), song riêng

tháng 7 giảm nhẹ 1,4% do đồng Yên yếu, dù nhu cầu sản phẩm chế biến, giá trị gia tăng vẫn duy trì ổn định.

Xuất khẩu sang EU đạt 309 triệu USD trong 7 tháng đầu năm 2025, tăng 17%, riêng tháng 7 đạt 57 triệu USD, tăng 21%, hưởng lợi từ lạm phát hạ nhiệt và nhu cầu ổn định cho sản phẩm chế biến. Bên cạnh đó, thị trường Hàn Quốc đạt 203 triệu USD, chiếm 8% tổng xuất khẩu, nhờ nhu cầu tôm

Nhiều doanh nghiệp

VASEP dự báo, xuất khẩu tôm cả năm

2025 có thể đạt 3,6 - 3,8 tỷ USD nếu doanh nghiệp tiếp tục khai thác tốt thị trường châu Á, EU, CPTPP và đẩy mạnh sản phẩm chế biến giá trị gia tăng tại Nhật Bản.

Tuy nhiên, tốc độ tăng trưởng của ngành tôm có thể chậm lại trong nửa cuối năm nếu Mỹ tiếp tục giảm nhập khẩu từ Việt Nam do tác động của thuế đối ứng và các biện pháp phòng vệ thương mại. Trong khi đó, mức thuế từ các đối thủ cũng tạo áp lực cạnh tranh lớn hơn.

Ứng phó với thuế quan Mỹ

Theo VASEP, Việt Nam hiện là nguồn cung tôm lớn thứ tư của Mỹ. Dù sản lượng chưa bằng các đối thủ, nhưng Việt Nam nổi bật nhờ tôm chế biến, tôm giá trị gia tăngphân khúc có giá bán trung bình cao nhất thị trường (11,22 USD/kg trong tháng 5/2025).

Ở phân khúc tôm sú, Indonesia đang chiếm ưu thế. Bên cạnh đó, doanh nghiệp xuất khẩu tôm chịu áp lực lớn khi thuế tăng, đồng nghĩa giá thành tăng. Nếu không thể chuyển phần chi phí này sang người tiêu dùng, doanh nghiệp dễ rơi vào tình trạng giảm biên lợi nhuận. Mặt khác, người tiêu dùng Mỹ có xu hướng chuyển sang sản phẩm giá rẻ hơn, gây ảnh hưởng đến sản lượng tiêu thụ. Mức thuế đối ứng 20% của Mỹ đối với tôm

Việt Nam, cộng thêm thuế chống trợ cấp và thuế chống bán phá giá (hiện chưa có kết luận cuối cùng), cũng là một rào cản không nhỏ. Nếu kết quả cuối cùng của các vụ kiện thương mại bất lợi, tổng mức thuế áp lên tôm

Việt Nam có thể còn cao hơn hiện tại. Đây là một thách thức lớn trong việc duy trì mức lợi nhuận và sức cạnh tranh tại thị trường Mỹ. Hiện tại, các doanh nghiệp tôm Việt Nam đã và đang định hình lại chiến lược. Thay vì cạnh tranh bằng giá thì nhiều doanh nghiệp

Việt chọn tập trung vào dòng sản phẩm chế biến sâu, tôm hữu cơ và các dòng tôm đặc thù cho kênh bán lẻ, nhà hàng cao cấp. Đồng thời, các doanh nghiệp đang đa dạng hóa thị trường để giảm phụ thuộc vào Mỹ - hướng sang EU (tăng 25% trong 5 tháng đầu năm), Nhật Bản (tăng 11%) và tận dụng các ưu đãi từ EVFTA, UKVFTA để tiếp cận sâu hơn vào các thị trường có yêu cầu cao nhưng ổn định chính sách hơn.

chế biến cho kênh HORECA và tiêu thụ nội địa ổn định.

Trong khi đó, xuất khẩu tôm sang Mỹ gặp nhiều khó khăn. Tháng 7/2025 đạt 63 triệu USD, giảm 29% so cùng kỳ; lũy kế 7 tháng đầu năm 2025 đạt 404 triệu USD, chỉ tăng 3%. Sau giai đoạn tăng mạnh trong tháng 5 - 6 nhờ đơn hàng “né thuế”, hoạt động xuất khẩu chững lại do mức thuế đối ứng 20% chính thức áp dụng, cùng nguy cơ thuế chống bán phá giá và chống trợ cấp. Điều này làm biên lợi nhuận thu hẹp, buộc doanh nghiệp phải điều chỉnh chiến lược giá và cơ cấu đơn hàng. So với các đối thủ như Ecuador (thuế 15%) hay Indonesia và Philippines (19%), tôm Việt Nam dần mất lợi thế cạnh tranh.

Về cơ cấu sản phẩm, trong 7 tháng đầu năm 2025, TTCT đạt 1,6 tỷ USD (tăng 8%), chiếm 63% tổng kim ngạch; tôm sú đạt 260 triệu USD (tăng 5%); các loại tôm khác đạt 657 triệu USD, tăng mạnh 117% nhờ đơn hàng tôm đông lạnh từ châu Á. Ảnh: Vũ Sinh/TTXVN

Lợi thế này càng rõ nét khi nhiều nhà nhập khẩu Mỹ muốn thoát khỏi các thị trường bị áp thuế cao và chuyển sang những nhà cung ứng có sản phẩm chất lượng, ổn định, và truy xuất minh bạch hơn. Khác với Ecuador - quốc gia có mức thuế thấp nhất (khoảng 15%) nhưng chủ yếu xuất khẩu tôm thô, hay Ấn Độ - quốc gia có sản lượng xuất khẩu cao nhất nhưng gánh mức thuế lên đến 33,26%, tôm Việt Nam tập trung vào phân khúc chế biến, hàng giá trị gia tăng. Đây là loại sản phẩm có biên lợi nhuận cao, phù hợp với xu hướng tiêu dùng cao cấp tại Mỹ, và ít chịu áp lực cạnh tranh trực tiếp về giá hơn các sản phẩm sơ chế. Trong bối cảnh nguồn cung toàn cầu đang điều chỉnh do cung vượt cầu kéo dài hai năm qua, giá tôm bắt đầu phục hồi và người tiêu dùng Mỹ thiết lập mặt bằng giá mới - tăng 18% trong thời gian gần đây, tôm Việt Nam có thể tận dụng tốt hơn lợi thế chất lượng, chế biến sâu và tính linh hoạt trong sản phẩm.

Tôm Việt Nam với lợi thế có giá trị gia tăng cao, chất lượng chế biến tốt, tiêu chuẩn an toàn thực phẩm, khả năng cung ứng đồng đều và mối quan hệ ổn định với nhà nhập khẩu nên thị phần có thể không tăng đột phá, nhưng cơ hội để củng cố và giữ vững thị phần chất lượng cao là vẫn có thể nếu doanh nghiệp tận dụng tốt lợi thế sẵn có.

Tuy nhiên, VASEP cho rằng, tôm Việt Nam xuất khẩu vào Mỹ vẫn chịu sự cạnh tranh khốc liệt ở phân khúc sơ chế, TTCT. “Đối thủ nặng ký” nhất là Ecuador. Doanh nghiệp Việt xuất khẩu mặt hàng sơ chế sẽ khó giành thị phần nếu không cải thiện năng suất và giảm chi phí.

Chiến lược ESG (Môi trường - Xã hộiQuản trị) cũng được một số doanh nghiệp đầu tư dài hạn, nhằm đáp ứng yêu cầu ngày càng khắt khe của các chuỗi siêu thị và nhà nhập khẩu lớn trên toàn cầu. Đây là hướng đi không dễ, nhưng nếu thành công sẽ tạo được lợi thế bền vững.

Nhìn từ tổng thể, Mỹ hiện áp mức thuế đối ứng với Ấn Độ (25%), Ecuador (15%), Indonesia (19%), Thái Lan (19%), Việt Nam không có lợi thế về thuế tại Mỹ. Mức thuế đối ứng 20%, cộng với nguy cơ tăng thuế từ các vụ kiện thương mại, đang khiến bài toán giá cả trở nên khó giải hơn bao giờ hết.

Tuy nhiên, thị trường Mỹ không phải cuộc chơi chỉ có giá. Những nhà nhập khẩu lâu năm sẽ nhìn vào khả năng cung ứng ổn định, sự tin cậy trong giao hàng, và giá trị thực sự mà sản phẩm mang lại. Đây là nơi mà tôm Việt Nam vẫn có nhiều cơ hội. Nếu kiên định đi theo hướng sản phẩm khác biệt, chất lượng cao, dịch vụ tốt, và đầu tư bền vững vào thị trường thì Việt Nam vẫn đủ sức giữ vai trò là nhà cung cấp chiến lược, không thể thay thế, dù không dẫn đầu về số lượng.

CẢNH NGHI

Tôm vẫn là điểm sáng trong xuất khẩu thủy sản

Theo Hiệp hội Chế biến và Xuất khẩu Thủy sản Việt Nam (VASEP), kim ngạch xuất khẩu thủy sản tháng 7/2025 ước đạt 971 triệu USD, tăng 6,1% so cùng kỳ năm trước. Lũy kế 7 tháng đầu năm 2025, ngành ghi nhận 6,22 tỷ USD, tăng 17,2%. Trong đó, tôm tiếp tục là điểm sáng xuất khẩu nhờ nhu cầu tăng ở Mỹ và Nhật Bản khi mùa tiêu thụ cuối năm bắt đầu. Dự báo cả năm 2025, xuất khẩu tôm đạt 3,6 - 3,8 tỷ USD nếu tận dụng tốt các thị trường châu Á, EU, CPTPP và đẩy mạnh sản phẩm giá trị gia tăng sang Nhật Bản. VASEP khuyến nghị doanh nghiệp cần chủ động nguồn nguyên liệu và nâng cao tiêu chuẩn chất lượng; đầu tư công nghệ chế biến sâu, gia tăng giá trị sản phẩm; đa dạng hóa thị trường, giảm phụ thuộc vào Mỹ; tận dụng triệt để ưu đãi từ các FTA để mở rộng xuất khẩu.

EU tăng mạnh nhập khẩu tôm Việt

Trong tháng 5/2025, thị trường Liên minh châu Âu (EU) ghi nhận mức tăng trưởng kỷ lục về nhập khẩu tôm nước ấm đông lạnh và tôm chế biến, cho thấy nhu cầu tiêu dùng hồi phục mạnh mẽ sau giai đoạn trầm lắng. Đáng chú ý, Việt Nam ghi nhận mức tăng trưởng vượt trội 53% trong tháng 5 với 4.791 tấn, nâng tổng lượng xuất khẩu tôm sang EU lên 19.549 tấn, tăng 23% so cùng kỳ năm trước. Sự tăng trưởng nhập khẩu tôm của EU trong bối cảnh giá cả đang ổn định ở mức thấp là tín hiệu tích cực cho ngành tôm toàn cầu, đặc biệt là các nước có năng lực sản xuất lớn như Ecuador, Ấn Độ và Việt Nam. Với đà tăng trưởng hiện tại, nhiều khả năng thị trường EU sẽ tiếp tục là điểm đến quan trọng cho các nhà xuất khẩu tôm trong thời gian tới.

Giá tôm Việt cao nhất tại thị trường Mỹ

Theo Hiệp hội Chế biến và Xuất khẩu Thủy sản Việt Nam (VASEP), trong 6 tháng đầu năm 2025, xuất khẩu tôm Việt Nam đạt hơn 2 tỷ USD, tăng 27% so cùng kỳ năm trước. Đặc biệt, xuất khẩu tôm sú đạt hơn 341 triệu USD, tăng gần 13% so cùng kỳ. Riêng tháng 5, xuất khẩu tôm sang Mỹ tăng mạnh tới 66%. Giá trung bình tôm Việt Nam tại Mỹ tháng 5 đạt 5,1 USD/pound - mức cao nhất trong nhóm các nước cung cấp chính của thị trường này. Điều này phản ánh chất lượng và định vị cao cấp của tôm Việt. Trong 5 tháng đầu năm 2025, Mỹ nhập khẩu 340.955 tấn tôm, với trị giá 2,84 tỷ USD, tăng lần lượt 15% và 24% so cùng kỳ năm trước,...

Việt Nam là đối tác xuất khẩu thủy sản lớn thứ 3 vào

Singapore

Lũy kế 6 tháng đầu năm 2025, Việt Nam tạm thời vượt qua Na Uy, lần đầu tiên vươn lên là đối tác cung ứng thủy sản thứ 3 tại thị trường Singapore. Ngoài phi lê cá và thịt cá ướp lạnh/cấp đông, Việt Nam hiện có hai nhóm khác có giá trị nhập khẩu đáng kể vào thị trường Singapore là động vật giáp xác đã/chưa qua chế biến và động vật thân mềm đã/chưa qua chế biến, đạt tương ứng 12,5 triệu SGD và 7,1 triệu SGD, chiếm lần lượt 9,4% và 12,4% thị phần. Hai nhóm này hiện cũng đang ghi nhận tăng trưởng dương (13,3% và 172,1%) trong 6 tháng đầu năm 2025. Theo ông Cao Xuân Thắng, Tham tán thương mại Việt Nam tại Singapore, trong thời gian tới, hai nhóm động vật giáp xác đã/chưa qua chế biến và động vật thân mềm đã/chưa qua chế biến, ngoài chịu sự cạnh tranh từ thủy sản xuất xứ Malaysia và Indonesia, thủy sản Việt Nam cũng sẽ phải tiếp tục cạnh tranh với thủy sản từ một số quốc gia như Trung Quốc, Nhật Bản và Ấn Độ.

HÀ TĨNH

Chủ động thu hoạch tôm sớm

Thời điểm này, bà con nuôi tôm ở Hà Tĩnh đã chủ động gia cố ao nuôi, thu hoạch sớm tôm thương phẩm trước khi mưa bão về để hạn chế thiệt hại. Hiện tại địa phương, tôm loại 50 con/kg có giá dao động khoảng 120.000 - 130.000 đồng/kg. Theo anh Lê Xuân Huy (thôn Tân Trung Thủy, xã Cẩm Lộc), mức giá sẽ còn biến động vì tính thời vụ và thị trường, các yếu tố thời tiết. Để chủ động, gia đình anh Huy quyết định thu hoạch 100% tôm nuôi hết trong tháng 8, sau đó chờ qua mùa mưa bão mới tiếp tục thả nuôi.

ĐÀ NẴNG

Trúng “lộc” biển cuối mùa, ngư dân thu tiền triệu mỗi ngày

Ngư dân xã bãi ngang Duy Nghĩa, TP Đà Nẵng, đang trải qua những ngày bội thu nhờ trúng đợt ruốc cuối mùa. Theo thông lệ, mùa ruốc kết thúc vào cuối tháng 4 âm lịch. Tuy nhiên, năm nay, ruốc vẫn xuất hiện dồi dào cho đến gần giữa tháng 6 âm lịch, kéo dài hơn mọi năm. Người dân gọi đây là “lộc” cuối mùa, mang lại thu nhập 1 - 2 triệu đồng/ngày. Ngư dân sử dụng mành lưới thả xuống độ sâu 5 - 6 m để đánh bắt. Trung bình mỗi thuyền có thể khai thác

được gần 1 tạ ruốc mỗi ngày, thậm chí có thuyền may mắn đánh bắt

được 2 - 3 tạ. Hiện, giá ruốc tươi khoảng 15.000 đồng/kg, ruốc khô giá bán lên tới 80.000 đồng/kg.

KHÁNH HÒA

Kiểm tra, giám sát 180 lô tôm hùm giống nhập khẩu

Thực hiện chỉ đạo của UBND tỉnh Khánh Hòa về việc xử lý dứt

điểm hành vi ương dưỡng, buôn bán, vận chuyển tôm hùm giống không rõ nguồn gốc xuất xứ, tôm hùm giống nhập lậu trên địa bàn tỉnh, thời gian qua, các đơn vị chuyên môn trực thuộc Sở Nông nghiệp và Môi trường đã phối hợp với Chi cục Thú y vùng V thực hiện công tác kiểm tra, giám sát tôm hùm giống sau cách ly kiểm dịch nhập khẩu về địa bàn tỉnh đối với 180 lô tôm hùm giống nhập khẩu, với tổng số 32.784.695 con. Đối với việc kiểm tra các cơ sở đủ điều kiện ương dưỡng tôm hùm giống trên địa bàn tỉnh, trong số 51 cơ sở đã được cấp giấy chứng nhận cơ sở đủ điều kiện ương dưỡng tôm hùm giống, cơ quan chức năng đã thu hồi 12 giấy chứng nhận do cơ sở ngừng hoạt động; có 9 cơ sở đã được kiểm tra và duy trì giấy chứng nhận; còn 30 cơ sở sẽ tiếp tục kiểm tra trong thời gian tới.

Giá nguyên liệu tôm biến động tại một số tỉnh

Theo Cục Xuất nhập khẩu (Bộ Công thương), tại Đắk Lắk, những ngày cuối tháng 7/2025 giá nguyên liệu tôm sú vẫn ổn định so với những ngày cuối tháng 6/2025, cụ thể: Đối với cỡ 50 con/kg ở mức 220.000 đồng/kg; Cỡ 40 con/kg ở mức 250.000 đồng/kg; Cỡ 30 con/kg ở mức 300.000 đồng/kg. Giá nguyên liệu TTCT cỡ 100 con/ kg giảm 1.000 đồng/kg, đạt mức 104.000 đồng/kg. Tại Quảng Trị, giá nguyên liệu tôm đất, tôm bộp, tôm sú, tôm hùm, TTCT giảm so với những ngày cuối tháng 6/2025. Cụ thể: Đối với tôm đất cỡ 4050 con/kg đạt 380.000 đồng/kg, giảm 40.000 đồng/kg; tôm bộp cỡ 45 - 50 con/kg đạt 420.000 đồng/kg, giảm 60.000 đồng/kg; tôm sú cỡ 20 - 30 con/kg đạt 430.000 đồng/kg, giảm 50.000 đồng/kg; riêng tôm hùm cỡ 3 - 5 con/kg ổn định, đạt 1.250.000 đồng/kg.

ANH VŨ

INDONESIA

mạnh xuất khẩu tôm sang Trung Quốc

Bước sang quý III/2025, ngành tôm Indonesia chứng kiến biến động lớn khi Mỹ áp mức thuế nhập khẩu 19% đối với sản phẩm tôm. Quyết định này lập tức ảnh hưởng đến dòng chảy xuất khẩu, buộc các doanh nghiệp phải tìm kiếm thị trường thay thế để duy trì sản lượng tiêu thụ và tránh tồn kho. Trung Quốc nhanh chóng trở thành lựa chọn hàng đầu nhờ nhu cầu tôm lớn và ít rào cản thương mại. Song song đó, Indonesia cũng mở rộng xuất khẩu sang Trung Đông, Hàn Quốc, Đài Loan và Liên minh Châu Âu nhằm phân tán rủi ro phụ thuộc vào một thị trường duy nhất. Các hiệp hội thủy sản nước này cho biết đang phối hợp chặt chẽ với chính phủ để xúc tiến thương mại, đồng thời tăng cường năng lực chế biến đáp ứng các tiêu chuẩn khắt khe của thị trường mới. Việc chuyển hướng này không chỉ giúp duy trì doanh thu xuất khẩu mà còn mở ra cơ hội tái cơ cấu thị trường tiêu thụ, giảm thiểu tác động từ biến động chính trị và thương mại quốc tế.

khó vì đòn áp thuế 25% của Mỹ Thị trường tôm Ấn Độ chao đảo sau khi Mỹ bất ngờ áp thuế nhập khẩu 25% đối với hàng hóa nước này từ ngày 1/8, vượt xa dự đoán 15 - 20%. Quyết định gây sốc lập tức tác động đến thị trường nguyên liệu, khiến giá tôm tại bang Andhra Pradesh - vùng nuôi trọng điểm giảm mạnh 5,3% đến 9,7%, chấm dứt đà tăng giá do thiếu hụt nguồn cung các tuần trước. Theo Aquaconnect, giá TTCT cỡ 70 con/kg giảm 6,5%, cỡ 60 con giảm 8,8% và cỡ 80 con giảm 5,3%. Mặc dù nguồn cung nội địa vẫn khan hiếm, nhưng cú sốc thuế khiến nhiều nhà nhập khẩu Mỹ lập tức “đóng băng” đơn hàng, đưa thị trường vào giai đoạn trầm lắng.

HÀN QUỐC

Nhu cầu tôm chế biến tăng kỷ lục

Thị trường Hàn Quốc ghi nhận nhu cầu tôm chế biến tăng gần 20% so cùng kỳ năm trước, đạt mức cao nhất trong vòng 5 năm. Nguyên nhân chính đến từ sự phổ biến của các sản phẩm tiện lợi như tôm tẩm bột, tôm sushi và tôm hấp chín sẵn tại các chuỗi siêu thị và cửa hàng tiện lợi. Người tiêu dùng ngày càng ưa chuộng sản phẩm chế biến nhanh, phù hợp với lối sống bận rộn. Các nhà cung cấp từ Việt Nam, Thái Lan và Indonesia đang tăng cường tiếp thị, đồng thời phát triển sản phẩm hợp khẩu vị địa phương. Giá tôm chế biến nhập khẩu trong tháng 7 dao động từ 11 - 12,5 USD/kg tùy loại và xuất xứ. Các chuyên gia dự báo, với đà tăng trưởng này, Hàn Quốc sẽ trở thành một trong những thị trường trọng điểm cho sản phẩm tôm giá trị gia tăng của Đông Nam Á vào những năm tới.

ECUADOR

Giá tôm giảm tại thị trường

Trung Quốc

Trong tuần 32 (4 - 10/8/2025), giá tôm xuất khẩu của Ecuador sang Trung Quốc giảm nhẹ, chấm dứt đà tăng giá gần đây dù chi phí nguyên liệu vẫn cao. Giá tôm IQF cỡ 30/40 (đông lạnh rời) giảm 0,1 USD/kg theo giá CFR Trung Quốc. Sản phẩm IQF ngâm muối, cả loại 12 kg và bán lẻ 1,4 - 1,8 kg, giảm 0,05 USD/kg. Một số nhà nhập khẩu xác nhận mức giảm rõ nhất ở dòng đóng gói 1,5 - 1,65 kg. Trong khi thị trường Trung Quốc kém sôi động, nhu cầu từ châu Âu tăng 20% so cùng kỳ, mở ra hướng tiêu thụ thay thế. Giá nguyên liệu tại trại ở Ecuador vẫn cao vì nguồn cung hạn chế và cạnh tranh giữa các nhà máy.

Giá tôm tăng nhẹ do chi phí vận tải và nguồn cung hạn chế

Tháng 7/2025, thị trường Liên minh châu Âu (EU) ghi nhận mức tăng giá tôm trung bình 3 - 5% so tháng trước, chủ yếu do chi phí vận tải biển tiếp tục leo thang và nguồn cung từ châu Á bị gián đoạn bởi các yếu tố thời tiết. Tại Tây Ban Nha và Pháp, giá tôm sú cỡ

20/30 nhập khẩu từ Việt Nam tăng lên 14 - 14,5 USD/kg, trong khi TTCT Ecuador giữ mức 9,8 - 10,2 USD/kg. Một số nhà nhập khẩu EU cho biết họ đã phải điều chỉnh kế hoạch dự trữ để tránh mua vào lúc giá cao, đồng thời tìm kiếm nguồn hàng từ châu Phi và Nam Mỹ để giảm phụ thuộc vào châu Á. Tuy vậy, các doanh nghiệp EU vẫn ưu tiên sản phẩm đạt chuẩn bền vững và có chứng nhận môi trường, khiến các nhà xuất khẩu phải đầu tư nhiều hơn vào quy trình nuôi trồng đạt chuẩn ASC hoặc Organic. Nhu cầu tiêu thụ tại châu Âu dự kiến sẽ duy trì ở mức cao đến hết mùa du lịch hè, trước khi chậm lại vào quý IV/2025 do yếu tố mùa vụ.

MỸ

Thị trường biến động mạnh, doanh nghiệp Ecuador

hưởng lợi

Ngành tôm Ecuador chứng kiến một cú hích lớn khi Mỹ áp thuế cao đối với sản phẩm từ Ấn Độ và Indonesia. Các nhà nhập khẩu Mỹ, nhằm đảm bảo nguồn cung ổn định, đã tăng mạnh đơn hàng từ Ecuador - vốn đã là một trong những nhà cung cấp tôm lớn nhất thế giới. Theo số liệu từ Phòng Nuôi trồng Thủy sản Quốc gia Ecuador (CNA), đơn hàng sang Mỹ trong nửa cuối tháng 7 tăng tới 18% so cùng kỳ năm trước. Không chỉ thị trường Mỹ, một số quốc gia châu Âu cũng bắt đầu ký hợp đồng dài hạn với doanh nghiệp Ecuador để tránh rủi ro thiếu nguồn hàng. Lợi thế của Ecuador nằm ở quy trình nuôi - chế biến đạt chuẩn quốc tế, hệ thống truy xuất nguồn gốc minh bạch và khả năng giao hàng nhanh. Tuy nhiên, ngành tôm Ecuador cũng đối mặt nguy cơ giá nguyên liệu tăng quá nhanh do nhu cầu đột biến, gây áp lực lên biên lợi nhuận. Các chuyên gia cảnh báo, nếu Mỹ và Ấn Độ đạt được thỏa thuận giảm thuế trong thời gian tới, đơn hàng có thể giảm trở lại, buộc Ecuador phải duy trì chiến lược đa dạng hóa thị trường để giữ ổn định sản xuất.

ARGENTINA

Cung gián đoạn, giá tăng mạnh

Ngành tôm Argentina đang đối mặt khủng hoảng nghiêm trọng khi cuộc xung đột kéo dài gần 10 tháng giữa các chủ tàu và công đoàn hàng hải SOMU khiến hoạt động đánh bắt gần như tê liệt. Ông Fernando Alvarez, Chủ tịch Conarpesa, cho biết tình hình bế tắc do tranh chấp chính trị nội bộ, trong khi nhiều ngư dân không có thu nhập từ tháng 10/2024, một số chỉ nhận khoảng 500 USD/tháng. Nguồn cung tôm đỏ giảm mạnh khiến tồn kho tại châu Âu dần cạn. Tại Milan, tôm đỏ Argentina cỡ L1 đạt 9,50 EUR/kg trong tuần 22/7, tăng 0,50 EUR so tuần trước. Tại Tây Ban Nha, giá L1 lên 9,00 EUR/ kg tại nhà máy, còn L2 gần như biến mất. So với đầu tháng 7 (7,3 - 7,4 EUR/kg) và tháng 3 (7,3 - 7,8 EUR/kg), giá đã tăng đáng kể. Dù TTCT Ecuador rẻ hơn (khoảng 6,5 EUR/kg), người tiêu dùng vẫn chuộng tôm tự nhiên Argentina khi có thể mua. Tuy nhiên, tình trạng đình trệ kéo dài đang buộc nhiều khách hàng tạm ngừng nhập khẩu hoặc chuyển sang nguồn thay thế. Nguy cơ thiếu hụt và biến

động giá được dự báo tiếp tục gia tăng trong các tháng tới.

LAN KHUÊ

Xoay

trục ngành tôm: Tăng nội địa,

vượt

sóng toàn cầu

Ngành tôm Thái Lan đang trải qua giai đoạn đầy biến động khi thị trường toàn cầu thay đổi nhanh chóng, buộc các doanh nghiệp phải điều chỉnh chiến lược và đẩy mạnh tiêu thụ trong nước.

Bước ngoặt sống còn

Theo AQUA Culture Asia Pacific, giá tôm

thế giới có mối liên hệ mật thiết với sản

lượng: giá tăng thường kéo theo sản xuất mở rộng. Tuy nhiên, sau đại dịch COVID-19, ngành tôm toàn cầu bước vào “trạng thái

bình thường mới” với mức giá thấp kéo dài, buộc nhiều quốc gia, trong đó có Thái Lan, phải cắt giảm sản lượng và mật độ nuôi.

Thái Lan hiện đối mặt nhiều khó khăn: chi phí sản xuất cao khiến giá thành kém cạnh tranh, xuất khẩu suy giảm cả về lượng lẫn giá trị. Từ năm 2010, nước này dần mất vị thế tại các thị trường trọng điểm như Mỹ, EU, Trung Quốc và Nhật Bản. Thậm chí, ở

một số thị trường như Trung Quốc, giá bán trong nước còn cao hơn xuất khẩu, khiến nhiều doanh nghiệp chuyển hướng phục vụ thị trường nội địa. Từng là cường quốc xuất khẩu tôm, Thái

Lan đang đứng trước bước ngoặt lớn khi

thị trường thay đổi sâu sắc. Trong khi tiêu

thụ nội địa tăng 73% từ 78.650 tấn (2016) lên 136.000 tấn (2024), thì xuất khẩu lại giảm gần 60%, chỉ còn hơn 130.000 tấn. Bối

cảnh mới buộc ngành tôm Thái Lan phải tái

cấu trúc toàn diện từ mô hình sản xuất đến

chiến lược thị trường.

Sự thay đổi này đang tái định hình cơ chế giá: giá tôm cổng trại dần tách khỏi giá xuất khẩu và trở nên ổn định hơn nhờ lực cầu nội địa. Trước làn sóng giảm giá kéo

dài trên thị trường toàn cầu vì nhu cầu yếu và cung dư thừa, Thái Lan không còn lựa chọn nào khác ngoài việc xoay trục chiến lược nếu không muốn tụt lại phía sau.

Tái cấu trúc

Ngành tôm Thái Lan đang đứng trước yêu cầu cấp thiết phải tái cơ cấu để thích nghi với những biến động ngày càng phức tạp từ cả thị trường nội địa lẫn quốc tế. Trong nước, nhu cầu tiêu thụ tôm tăng mạnh nhờ thu nhập cải thiện, tầng lớp trung lưu mở rộng và thói quen ăn uống thay đổi - tín hiệu cho thấy tiềm năng lớn của thị trường nội địa. Tuy nhiên, trên thị trường xuất khẩu, Thái Lan đối mặt với áp lực cạnh tranh gay gắt từ các nước có chi phí sản xuất thấp như Ecuador, Ấn Độ, Indonesia và Việt Nam. Giá tôm nội địa cao tuy có lợi cho người nuôi nhưng lại khiến doanh nghiệp xuất khẩu gặp khó, đặc biệt trong bối cảnh chi phí logistics tăng và giao hàng chậm trễ làm giảm sức cạnh tranh toàn cầu.

giảm chi phí, tăng tỷ lệ sống và tối ưu hiệu suất chăn nuôi.

Để giữ vững vị thế, ngành tôm Thái Lan đã chuyển hướng sang mô hình nuôi hiệu quả, bền vững và ứng dụng công nghệ. Các giải pháp như hệ thống cho ăn tự động, quản lý dịch bệnh chính xác và mô hình nuôi tôm thông minh được kỳ vọng sẽ giúp

Năm 2025, giá tôm được dự báo sẽ tiếp tục tăng nhờ sự phục hồi của du lịch. Chỉ riêng năm 2024, Thái Lan đã đón gần 35,54 triệu lượt khách quốc tế - yếu tố thúc đẩy mạnh tiêu thụ tôm trong nước. Các nhà hàng, khách sạn liên tục đưa tôm tươi vào thực đơn, trong đó hình thức buffet chế biến tại chỗ ngày càng phổ biến. Ngoài ra, xuất khẩu sang các nước láng giềng tăng, trong khi các kho lạnh dần chuyển hướng phục vụ thị trường nội địa vừa sinh lời cao, vừa giảm chi phí vận chuyển. Nếu đạt mức tiêu thụ bình quân đầu người như Mỹ (2,2 kg/năm), nhu cầu tôm tại Thái Lan sẽ tăng gấp đôi. Mục tiêu sản lượng 400.000 tấn đang được đặt ra để phục vụ đồng thời hai thị trường. Tuy nhiên, suốt 5 năm qua, sản lượng chưa vượt mốc 300.000 tấn cho thấy ngành tôm Thái Lan cần nỗ lực

mạnh mẽ hơn trong cải tiến công nghệ, mở

rộng quy mô và quản lý tài nguyên bền vững

để đạt được bước tiến dài trong tương lai.

Chiến lược nâng cao năng lực

cạnh tranh

Để nâng cao năng lực cạnh tranh trong

và ngoài nước, ngành tôm Thái Lan đang tái cơ cấu toàn diện. Các doanh nghiệp trong nước tập trung nghiên cứu hành vi tiêu dùng, phát triển sản phẩm giá trị gia tăng và mở rộng hệ thống phân phối. Ở khâu sản xuất, việc ứng dụng công nghệ hiện đại như cho ăn tự động, giám sát chất lượng nước theo thời gian thực và quản lý dịch bệnh chính xác giúp giảm tổn thất và tăng năng suất. Tìm kiếm nguồn nguyên liệu thay thế cho thức ăn cũng góp phần giảm chi phí và bảo vệ môi trường.

Một yếu tố cốt lõi khác là tăng cường hệ sinh thái hỗ trợ nông dân. Chính quyền thúc đẩy tổ chức các hộ nuôi thành hợp tác xã nhằm chia sẻ nguồn lực và nâng cao khả năng thương lượng. Ngoài ra, đào tạo về nuôi bền vững và tiếp thị hiện đại giúp người nuôi thích ứng linh hoạt với thị trường. Đồng thời, xây dựng thương hiệu tôm Thái cao cấp với các tiêu chí về an toàn thực phẩm, sản xuất xanh và chất lượng vượt trội là chìa khóa để nâng cao giá trị và duy trì nhu cầu ổn định.

Nhận thức được việc đa dạng hóa thị trường xuất khẩu cũng là hướng đi chiến lược nên nhiều doanh nghiệp Thái Lan tập trung vào các phân khúc cao cấp như tôm hữu cơ, tôm nuôi có trách nhiệm và phát thải carbon thấp. Tận dụng các FTA, cải thiện logistics và thúc đẩy đổi mới sáng tạo qua hợp tác công - tư nhằm tạo nền tảng cho ngành phát triển bền vững trong dài hạn. Thị trường nội địa đang mở ra cơ hội chiến lược cho ngành tôm Thái Lan, không chỉ giúp đa dạng hóa rủi ro mà còn giảm thiểu tác động từ biến động xuất khẩu. Tuy nhiên, tương lai của ngành không nằm ở sản lượng mà ở chất lượng, sự minh bạch và phát triển bền vững. Hệ thống truy xuất nguồn gốc toàn diện của Thái Lan từ con giống đến thu hoạch được đánh giá là tinh vi bậc nhất khu vực, tạo lợi thế lớn trong việc chinh phục các phân khúc cao cấp như sản phẩm hữu cơ, thân thiện môi trường và hướng đến sức khỏe. Đây chính là thời điểm vàng để tái định hình ngành, xây dựng một hệ sinh thái tôm hiện đại, bền vững và xứng đáng với vị thế toàn cầu của Thái Lan.

TUẤN MINH

(Theo AsiaAquaculture)

sóng xuất khẩu thủy sản sang Anh nhờ CETA

Với việc xóa bỏ hoàn toàn thuế nhập khẩu đối với sản phẩm thủy sản, Hiệp định Thương mại tự do toàn diện giữa Ấn Độ và

Anh (CETA) được kỳ vọng sẽ giúp thủy sản Ấn Độ bứt tốc tại thị

trường Anh, với mức tăng trưởng dự báo tới 70%.

Một cột mốc quan trọng trong quan hệ thương mại giữa Ấn Độ và Vương quốc Anh đã được thiết lập ngày 24/7/2025 khi hai nước chính thức ký kết Hiệp định Thương mại tự do toàn diện (CETA) dưới sự chứng kiến của Thủ tướng Ấn Độ Narendra Modi và Thủ tướng Anh Keir Starmer. Theo Bộ Thủy sản, Chăn nuôi và Sản phẩm sữa Ấn Độ, thỏa thuận được ký bởi Bộ trưởng Thương mại và Công nghiệp Ấn Độ Piyush Goyal và Bộ trưởng Doanh nghiệp và Thương mại Anh Jonathan Reynolds. CETA cho phép xóa bỏ thuế quan với 99% dòng thuế và mở cửa các lĩnh vực dịch vụ chiến lược. Đối với ngành thủy sản, hiệp định loại bỏ toàn bộ thuế nhập khẩu đối với nhiều loại hải sản, đặc biệt là tôm, cá đông lạnh và các sản phẩm chế biến giá trị gia tăng, giúp các doanh nghiệp Ấn Độ tăng sức cạnh tranh tại thị trường Anh. Cụ thể, các mặt hàng xuất khẩu chính của Ấn

Độ sang Anh bao gồm TTCT, mực đông lạnh, tôm hùm, cá chim đông lạnh và tôm sú đều được miễn hoàn toàn thuế nhập khẩu, trong khi trước đây mức thuế dao động 0 - 21,5%.

Năm tài chính 2024 - 2025, Ấn Độ đạt kim ngạch xuất khẩu thủy sản 7,38 tỷ USD (60.523 crore rupee) với 1,78 triệu tấn, trong đó tôm đông lạnh chiếm 66% giá trị với 4,88 tỷ USD. Xuất khẩu riêng sang

thị trường Anh đạt 104 triệu USD, riêng tôm chiếm 77% với 80 triệu USD. Dù vậy, thị phần của Ấn Độ tại thị trường thủy sản nhập khẩu trị giá 5,4 tỷ USD của Anh chỉ chiếm 2,25%. Với CETA, ngành dự báo tăng trưởng xuất khẩu 70% trong những năm tới. Ngành thủy sản hiện đang nuôi sống khoảng 28 triệu người dân Ấn Độ và đóng góp khoảng 8% sản lượng cá toàn cầu. Giai đoạn 2014 - 2025, xuất khẩu tăng 60% về sản lượng (từ 1,051 lên 1,685 triệu tấn) và 88% về giá trị. Các mặt hàng chế biến giá trị gia tăng cũng tăng gấp 3 lần, đạt hơn 7.666 crore rupee, cho thấy xu hướng dịch chuyển mạnh mẽ vào các thị trường cao cấp. Các bang ven biển như Andhra Pradesh, Kerala, Maharashtra, Tamil Nadu và Gujarat - những trung tâm xuất khẩu chủ lực, được kỳ vọng sẽ tận dụng tốt hiệp định này nhờ khả năng đáp ứng tiêu chuẩn vệ sinh và kiểm dịch (SPS) của Anh và quốc tế.

CETA không chỉ mở cánh cửa thị trường Anh mà còn nâng tầm ngành thủy sản Ấn Độ, từ cải thiện thu nhập người dân ven biển, tăng doanh thu ngành cho đến định vị lại hình ảnh quốc gia như một nhà cung cấp thủy sản chất lượng cao, bền vững và đáng tin cậy toàn cầu.

Hiệp định cũng giúp Ấn Độ thu hẹp khoảng cách cạnh tranh với các đối thủ như Việt Nam và Singapore, những quốc gia đã có FTA song phương với Anh (UKVFTA và UKSFTA). Với năng lực sản xuất lớn, lao động lành nghề và hệ thống truy xuất nguồn gốc ngày càng hoàn thiện, ngành thủy sản Ấn Độ đang nắm bắt cơ hội vươn xa hơn trên thị trường toàn cầu, vượt ra ngoài các đối tác truyền thống như Mỹ và Trung Quốc.

MI LAN (Theo Seafoodnews)

Ảnh: NewDelhi

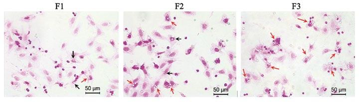
Chiết xuất thảo dược tăng cường miễn dịch tế bào

Chiết xuất thảo dược VIU-VET cho thấy tiềm năng mới trong việc tăng cường miễn dịch và nâng cao sức khỏe cho tôm nuôi nhờ đặc tính chống ôxy hóa vượt trội.

Hệ miễn dịch của tôm gồm hai nhánh

chính: miễn dịch thể dịch và miễn dịch tế bào, phối hợp nhằm bảo vệ cơ thể khỏi tác nhân gây bệnh. Trong đó, các tế bào máu (hemocyte) giữ vai trò trung tâm, thực hiện nhiều chức năng quan trọng như thực bào, bao vây mầm bệnh, hình thành nốt sần, kích hoạt hệ thống prophenoloxidase (proPO), đồng thời tổng hợp các peptide kháng khuẩn (AMPs) và enzyme chống ôxy hóa (Tassanakajon et al., 2018). Hemocyte được chia thành ba loại: tế bào không hạt hyaline (HC), tế bào bán hạt (SGC) và tế bào hạt (GC) (Sun et al., 2020; Xian et al., 2021). Trong đó, SGC và GC có hoạt tính thực bào mạnh, đóng vai trò then chốt trong điều hòa miễn dịch và kích hoạt hệ proPOcơ chế quan trọng giúp loại bỏ mầm bệnh, tạo melanin và hỗ trợ phục hồi tổn thương (Tuan et al., 2016; Liu et al., 2020).

VIU-VET là chiết xuất thực vật do Catalysis S.L. (Tây Ban Nha) phát triển, chứa các phân tử hoạt tính sinh học như axit amin có khả năng chống ôxy hóa và điều hòa miễn dịch. Sản phẩm này đã được chứng minh hiệu quả trong nâng cao sức khỏe và năng suất ở heo, song chưa có nghiên cứu ứng dụng trong nuôi trồng thủy sản. Nghiên cứu hiện tại được thực hiện nhằm đánh giá

khả năng tăng cường đáp ứng miễn dịch ở tôm khi bổ sung VIU-VET qua thức ăn.

Vật liệu và phương pháp

Thức ăn thương mại được phối trộn với chiết xuất thực vật VIU-VET ở hai liều lượng: 4 mL/kg và 10 mL/kg. Hỗn hợp được trộn với 5% tinh bột biến tính alpha làm chất kết dính, sau đó phủ ngoài bằng 5% dầu mực.

TTCT khỏe mạnh (trọng lượng trung bình ~ 2 g) được thuần dưỡng 3 ngày trước khi bố trí thí nghiệm. Tôm được chia thành ba nhóm ăn khác nhau: F1: không bổ sung VIUVET (đối chứng); F2: bổ sung 4 mL VIU-VET/ kg thức ăn; F3: bổ sung 10 mL VIU-VET/kg thức ăn. Mỗi nghiệm thức được lặp lại 3 lần, mỗi bể nuôi 25 con tôm (kích thước bể 48 × 70 × 41 cm³; thể tích nước 100 L; độ mặn 20 ppt). Vào ngày 7 và 21 sau khi cho ăn, 5 mẫu tôm mỗi lặp được thu để phân tích các chỉ tiêu miễn dịch: tổng số tế bào máu (THC), tỷ lệ phân bố tế bào máu (DHC), và hoạt tính thực bào.

Kết quả

Tổng số bạch cầu (THC) và phân loại

bạch cầu (DHC)

Sau 7 ngày cho ăn, tổng số bạch cầu (THC) không có sự khác biệt đáng kể giữa các nhóm (P>0,05). Tuy nhiên, đến ngày 21, nhóm tôm ăn khẩu phần F3 ghi nhận THC cao hơn rõ rệt (2,5 ± 0,7 x 107 tế bào/mL) so với nhóm F1 (1,93 ± 0,6 x 107 tế bào/mL) (P=0,035).

Ba loại bạch cầu được xác định gồm: tế bào hyaline (HC), bán hạt (SGC) và hạt lớn (GC). Trong đó, số lượng tế bào SGC ở nhóm F3 cao nhất, khác biệt có ý nghĩa thống kê so với F1 vào cả ngày 7 (P=0,038) và ngày 21 (P=0,007). Ngược lại, số lượng HC ở F3 lại thấp hơn đáng kể so với F1 vào ngày 21 (P=0,006) (Hình 1).

Hoạt tính thực bào của bạch cầu

Tỷ lệ thực bào trung bình của các nhóm dao động 22,34 - 32,26% vào ngày 7 và 18,05 - 25,21% vào ngày 21. Nhóm F3 và F2

đều có hoạt tính thực bào cao hơn đáng kể so với F1 ở cả hai thời điểm (P<0,05) (Hình 2).

Chỉ số thực bào trung bình dao động trong khoảng 1,31 - 1,61 vào ngày 7 và 1,27 - 1,41 vào ngày 21. Nhóm F3 luôn ghi nhận

chỉ số cao hơn đáng kể so với F1, trong khi

F2 chỉ vượt F1 ở ngày 7.

Hình ảnh minh họa hoạt tính thực bào của bạch cầu ở các nhóm khẩu phần F1–F3

được trình bày trong hình 3 (ngày 7) và hình 4 (ngày 21).

Thảo luận và kết

luận

Bổ sung chiết xuất thảo dược VIU-VET vào khẩu phần ăn giúp tăng cường miễn dịch tế bào ở tôm, thể hiện qua tổng số tế bào máu (THC) tăng, tỷ lệ tế bào bán hạt (SGC) cao hơn, số lượng và hiệu suất thực bào được cải thiện.

Hiệu quả tăng dần theo liều lượng, trong đó nhóm 10 mL/kg cho thấy phản ứng miễn dịch mạnh hơn rõ rệt so với nhóm 4 mL/kg.

Kết quả phù hợp với các nghiên cứu trước, khẳng định vai trò của chất kích thích miễn dịch trong việc tăng THC và hoạt tính thực bào, góp phần nâng cao khả năng đề kháng với các tác nhân gây bệnh như Vibrio spp. và WSSV. Vì SGC và GC là các tế bào thực bào chủ lực ở tôm, sự gia tăng số lượng thực bào phản ánh rõ nét khả năng loại trừ mầm bệnh được cải thiện.

Tóm lại, bổ sung VIU-VET, đặc biệt ở liều cao, có thể cải thiện rõ rệt miễn dịch tế bào của tôm chỉ sau 7 ngày. Tuy nhiên, cần tiếp tục nghiên cứu trong điều kiện nuôi thực tế để đánh giá hiệu quả ứng dụng lâu dài của sản phẩm này trong nuôi tôm.

DŨNG NGUYÊN (Theo Aquafeed)

TRUNG QUỐC

Bột nhộng ong - “chất xúc tác” xanh nâng tầm surimi tôm

Giàu dinh dưỡng và dễ tiêu hóa, bột nhộng ong được ứng dụng như phụ gia tự nhiên cải thiện cấu trúc gel surimi tôm. Đây được xem là bước tiến xanh giúp ngành thủy sản phát triển bền vững và gia tăng giá trị sản phẩm chế biến.

Giá trị dinh dưỡng của surimi tôm được

Một nghiên cứu mới công bố cho thấy bột nhộng ong (BPP) có tiềm năng cải thiện chất lượng surimi tôm nhờ tăng độ dai, khả năng tạo cường độ gel và tiêu hóa, đồng thời nâng cao giá trị dinh dưỡng. Nghiên cứu tập trung vào protein cơ vân (MP) của TTCT, cho thấy BPP giúp khắc phục các điểm yếu thường gặp của gel surimi truyền thống như kết cấu kém hoặc dễ thất thoát nước. Các nhà khoa học nhấn mạnh: “Công trình này làm rõ sự tương tác hiệp đồng giữa BPP và MP trong việc xây dựng hệ gel lai, mở ra hướng ứng dụng mới từ nguồn côn trùng còn ít được khai thác”.

Phân tích chuyên sâu xác định tỷ lệ tối ưu

Bằng kỹ thuật hiển vi laser confocal, nhóm nghiên cứu xác định BPP phân tán đồng đều trong ma trận surimi, với tỷ lệ tối ưu 1:20 (BPP/MP theo khối lượng). Ở nồng độ này, BPP giúp duỗi mở cấu trúc bậc ba của protein tôm, tăng tương tác kỵ nước và hình thành cầu disulfide, tạo gel chắc và đàn hồi hơn. Tuy nhiên, khi vượt quá tỷ lệ tối ưu, hiệu quả giảm do cản trở lập thể làm yếu cấu trúc gel, cho thấy công thức phối trộn chính xác rất quan trọng. Nghiên cứu cũng cho thấy gel hai thành phần (MP + BPP) có khả năng tiêu hóa proteolytic cao hơn, hứa hẹn nâng

cao sinh khả dụng dinh dưỡng và khả năng hấp thu cho người tiêu dùng.

Hướng đi bền vững cho tương lai

Việc tích hợp protein côn trùng như BPP vào thực phẩm phù hợp với xu hướng phát triển bền vững toàn cầu. Theo FAO, côn trùng ăn được giàu axit amin thiết yếu và chất béo có lợi, là giải pháp khả thi để đáp ứng nhu cầu lương thực ngày càng tăng và thúc đẩy kinh tế tuần hoàn.

Nhóm nghiên cứu cho biết kết quả này giúp hoàn thiện chiến lược ứng dụng protein côn trùng, đồng thời cung cấp cơ sở hiểu biết về cơ chế tạo gel thủy sản lai với kết cấu tối ưu và giá trị dinh dưỡng cao hơn. Công trình đánh dấu bước tiến quan trọng trong phát triển sản phẩm surimi “dán nhãn sạch”, không chỉ cải thiện đặc tính công nghệ mà còn nâng cao giá trị dinh dưỡng và thân thiện môi trường. Nghiên cứu đã sử dụng các kỹ thuật hiện đại như quang phổ hồng ngoại biến đổi Fourier (FTIR), hiển vi điện tử quét (SEM), phân tích lưu biến và mô hình tiêu hóa in vitro để làm rõ mối liên hệ giữa biến đổi cấu trúc và hiệu năng gel, mở đường cho thế hệ sản phẩm thủy sản lai mới.

MI LAN (Theo Seafoodmedia)

thảo dược phòng trị bệnh hoại tử gan tụy

cấp

Bệnh hoại tử gan tụy cấp (AHPND) do vi khuẩn Vibrio parahaemolyticus gây ra. Bệnh gây thiệt hại lớn cho ngành nuôi tôm trên toàn cầu do khả năng lây lan nhanh và tỷ lệ chết cao, đặc biệt là trong giai đoạn tôm còn nhỏ.

Thảo dược là một trong những nguyên liệu tiềm năng được sử dụng phổ biến trong phòng trị bệnh cho người và động vật. Nhiều loại thảo dược được ghi nhận có vai trò quan trọng trong việc kiểm soát dịch bệnh vì chứa nhiều chất có hoạt tính kháng ôxy hóa, kháng vi khuẩn, giảm stress và tăng cường hệ miễn dịch trên động vật. Những năm qua, nhiều nghiên cứu đã được tiến hành để tìm ra các loại thảo dược mới có thể sử dụng được để phòng bệnh AHPND trên tôm

Cao chiết lá ổi

Một nghiên cứu của TS Bùi Thị Bích Hằng

(Trường Thủy sản, Đại học Cần Thơ) được thực

hiện nhằm đánh giá miễn dịch, tăng trưởng và

khả năng kháng Vibrio parahaemolyticus trên

TTCT. Theo đó, thí nghiệm bổ sung cao chiết lá

ổi với nồng độ 0, 1, 5 và 10 g/kg thức ăn trong

28 ngày, tiếp tục nuôi tôm đến 56 ngày để

đánh giá tăng trưởng. Thí nghiệm cảm nhiễm với V. parahaemolyticus cũng được thực hiện

để đánh giá khả năng phòng bệnh cho tôm của cao chiết lá ổi.

Kết quả cho thấy, bổ sung cao chiết lá ổi ở nồng độ 5 g/kg thức ăn cho giá trị tổng tế bào máu, hoạt tính phenoloxidase, hoạt tính thực bào và sản sinh các phân tử ôxy hóa cao nhất, đồng thời các protein có liên quan đến miễn dịch (lysozyme, superoxide dismutase, glutathione peroxidasem,…) cũng được biểu hiện.

Ngoài ra, tăng trưởng của tôm được bổ sung cao chiết lá ổi cũng cao hơn so với tôm đối chứng, tôm ở nghiệm thức bổ sung cao chiết lá ổi (5 g/kg thức ăn) có tốc độ tăng trưởng cao nhất và hệ số tiêu tốn thức ăn thấp nhất. Sau cảm nhiễm với vi khuẩn V. parahaemolyticus, tỷ lệ sống của tôm được bổ sung cao chiết lá ổi (5 g/kg thức ăn) đạt 72,27%, cao hơn so với các nghiệm thức còn lại.

Cao chiết lá vối

Các nhà khoa học của trường Đại học Nông Lâm, Đại học Huế và Trường Đại học Y Dược, Đại học Huế cũng đã thực hiện nghiên cứu để đánh giá khả năng kháng

khuẩn của cao chiết lá vối đối với vi khuẩn Vibrio parahaemolyticus gây bệnh hoại tử gan tụy cấp tính trên TTCT. Lá vối được ngâm chiết bằng ethanol 96%, ethanol 55% và nước cất. Tất cả cao chiết đều có khả năng kháng vi khuẩn V. parahaemolyticus. Trong đó, cao chiết lá vối ngâm chiết bằng ethanol 96% có khả năng kháng vi khuẩn Vibrio parahaemolyticus mạnh nhất với đường kính vòng kháng khuẩn trung bình 17,9 mm. Nồng độ ức chế tối thiểu của cao chiết lá vối ngâm chiết bằng ethanol 96%, ethanol 55% và nước cất lần lượt là 6,25, 12,5 và 100 mg/mL. Nồng độ diệt khuẩn tối thiểu tương ứng là 12,5, 50 và 200 mg/mL. Cao chiết chứa flavonoid, coumarin và tannin và có tiềm năng sử dụng để phòng trị bệnh do Vibrio parahaemolitycus gây ra trên TTCT.

Chất chiết lá bàng, diệp hạ châu thân đỏ

Theo PGS.TS Trần Thị Tuyết Hoa, Trường Thủy sản, Đại học Cần Thơ, đối với tôm, chất chiết lá bàng (Terminalia catappa), diệp hạ châu thân đỏ (Phyllanthus urinaria) bổ sung vào thức ăn cho TTCT được xác định mang lại nhiều kết quả tích cực giúp phòng bệnh cho tôm nuôi. Đặc biệt trong kiểm soát bệnh hoại tử gan tụy cấp tính.

Cụ thể, sau 4 tuần sử dụng thức ăn có bổ sung thảo dược, kết quả ghi nhận: Nồng độ bổ sung 1% chất chiết diệp hạ châu thân đỏ, 1% chất chiết lá bàng cho hiệu quả về tăng trưởng. Bên cạnh đó, việc bổ sung 1% chất chiết bàng giúp TTCT tăng cường sức khỏe, thể hiện qua các chỉ số miễn dịch (chỉ số huyết học, hoạt tính phenoloxidase, hoạt tính superoxide dismutase). Đặc biệt, việc bổ sung thảo dược vào thức ăn giúp tôm kháng lại vi khuẩn Vibrio parahaemolyticus gây bệnh hoại tử gan tụy cấp tính với tỷ lệ chết tích lũy 40% thấp hơn so với nhóm tôm không bổ sung thảo dược là 71,1%. NGUYỄN AN

Gelatin nâng cao chất lượng tôm càng xanh

Nghiên cứu nhằm đánh giá tác động của màng gelatin và điều kiện bảo quản đến sự thay đổi các thuộc tính chất lượng của tôm càng xanh.

Tôm càng xanh rất giàu hàm lượng protein, hàm lượng lipid và cholesterol thấp, sự suy giảm chất lượng sau khi tôm chết xảy ra rất nhanh và dễ bị hư hỏng bởi các yếu tố nội tại và môi trường bên ngoài.

Phương pháp bảo quản phổ biến được áp dụng để duy trì chất lượng tôm sau thu hoạch là bảo quản lạnh đối với nhu cầu tiêu

thụ nội địa, ngắn ngày và bảo quản đông

đối với quy mô công nghiệp và xuất khẩu

(Jiang et al., 2021; Mahto et al., 2015).

Tuy nhiên, sự tiếp xúc giữa nguyên liệu

tôm và môi trường không khí sẽ thúc đẩy

các phản ứng hóa lý xảy ra, đặc biệt là phản ứng ôxy hóa lipid và sự phát triển của vi sinh vật gây hư hỏng. Do đó, các nghiên cứu tập trung về sử dụng các loại màng bao có thể

ăn được và có hoạt tính sinh học, hoạt động như một rào cản để bảo vệ nguyên liệu khỏi các tác động tiêu cực, góp phần nâng cao thời gian sử dụng của nguyên liệu. Gelatin là một trong những hợp chất sinh học được chiết xuất từ da, xương, vây, vẩy của động vật đã được chứng minh có nhiều hoạt tính sinh học hữu ích và khả năng hình thành gel hay tạo màng, khả năng tự phân hủy. Bên cạnh đó, gelatin còn đóng vai trò là chất mang các hợp chất sinh học khác để duy trì chất lượng nguyên liệu thực phẩm bao gói (Alparslan et al., 2016; Benbettaïeb et al., 2017) nên gelatin phù hợp với tiêu chí của vật liệu bao bì thương mại (Arvanitoyannis, 2022). Màng bao được tạo thành từ gelatin cũng được xem xét như chất ngăn chặn sự xâm nhập của ôxy hay chống lại ánh sáng (Ucak et al., 202).

Do đó, sự kết hợp giữa màng bao gelatin sinh học thân thiện môi trường và điều kiện bảo quản lạnh hoặc bảo quản đông có thể cải thiện tốt hơn về tính ổn định chất lượng và mức độ an toàn của nguyên liệu thủy sản sau thu hoạch. Nhằm phát huy tiềm năng và nâng cao vị thế cho con tôm càng xanh, các nhà khoa học tại Đại học Cần Thơ đã thực hiện đề tài “Ảnh hưởng của dung dịch

gelatin đến sự thay đổi chất lượng của tôm càng xanh (Macrobrachium rosenbergii) trong điều kiện bảo quản lạnh và bảo quản đông”.

trong 3 ngày. Kết quả nghiên cứu cho thấy, nồng độ gelatin 3% là nồng độ phù hợp tạo lớp màng phủ giúp hạn chế quá trình ôxy hóa lipid cho sản phẩm tôm càng xanh. Tiếp đến, nhóm tác giả thực hiện thử nghiệm đánh giá sự biến đổi chất lượng của tôm càng xanh được xử lý bằng dung dịch gelatin trong điều kiện bảo quản lạnh và bảo quản đông. Kết quả cho thấy, chất lượng cảm quan của tôm phủ lớp gelatin được duy trì tốt hơn, tổng số vi sinh vật hiếu

khí cũng thấp hơn trong cả hai điều kiện bảo quản lạnh và bảo quản đông. Nguyên nhân là do dung dịch gelatin có khả năng tạo lớp phủ bên ngoài và ngăn chặn một phần các biến đổi sinh - lý ảnh hưởng không tốt đối với tôm càng xanh, góp phần duy trì chất lượng cơ thịt, giúp kéo dài thời gian sử dụng của tôm trong quá trình bảo quản lạnh đến 15 ngày (chỉ 9 ngày đối với mẫu tôm không được phủ lớp dung dịch gelatin) và sau 6 tháng bảo quản đông.

NAM CƯỜNG

Cụ thể, để khảo sát ảnh hưởng của nồng độ dung dịch gelatin đến sự ổn định chất lượng tôm càng xanh, nhóm tác giả đã sử dụng tôm càng xanh (cỡ 12 - 15 con/kg), ngâm bằng nước đá trong thời gian 30 phút, tỷ lệ tôm và nước đá là 2 tôm: 1 nước đá: 1 nước sạch, nước sạch đảm bảo vệ sinh. Tôm sau khi chết được nhúng trong dung dịch gelatin với các nồng độ khác nhau (1, 2, 3, 4 và 5%). Gelatin được hòa tan hoàn toàn trong nước sạch ở 60ºC trong 20 phút và dung dịch gelatin được giữ lạnh xuống nhiệt độ 10 - 15ºC. Tỷ lệ tôm : dung dịch gelatin là 1:2 (w/v) và nhúng tôm trong 1 phút, nhiệt độ dung dịch gelatin đảm bảo 10 - 15ºC. Sau khi xử lý trong dung dịch gelatin, tôm càng xanh được để ráo 5 phút, đặt trên các khay xốp và bảo quản trong các túi PA, hàn kín miệng và bảo quản ở điều kiện lạnh (4ºC) Tôm càng xanh rất giàu hàm lượng protein Ảnh: ST

Quản lý chất lượng nước ao tôm mùa mưa

Mùa mưa bão luôn là giai đoạn nhạy cảm với nghề nuôi tôm do sự thay đổi đột ngột của các yếu tố môi trường, làm tăng rủi ro bệnh tật và ảnh hưởng đến tốc độ tăng trưởng. Việc quản lý chất lượng nước ao nuôi trong thời điểm này là yếu tố then chốt để đảm bảo an toàn và hiệu quả. Dưới đây là những khuyến cáo và giải pháp cụ thể.

Gia cố ao và hệ thống thoát nước

Ao nuôi cần được kiểm tra và gia cố trước mùa mưa để tránh rò rỉ hoặc tràn bờ. Cần nâng bờ ao cao hơn mực nước lũ ít nhất 50 cm. Lắp đặt cống xả và hệ thống lưới chắn tôm thoát ra ngoài. Dọn sạch cỏ dại, rác và khơi thông hệ thống thoát nước quanh khu vực nuôi.

Ổn

định độ mặn và nhiệt độ

Mưa lớn kéo dài làm giảm nhanh độ mặn và nhiệt độ nước, dễ gây sốc cho tôm, đặc biệt là TTCT. Sự biến động này làm tôm giảm ăn, yếu sức và dễ nhiễm bệnh. Do đó cần tiến hành theo dõi độ mặn bằng khúc xạ kế ít nhất 2 lần/ngày.

Sau mưa, nếu độ mặn giảm sâu, cấp thêm nước mặn hoặc hòa tan muối khoáng để nâng độ mặn từ từ, tránh thay đổi quá 2 - 3‰ trong một ngày; Che chắn bạt nilon quanh ao để hạn chế nước mưa chảy tràn trực tiếp vào ao; Sử dụng quạt nước để trộn đều nước mặt và tầng đáy, giảm phân tầng nhiệt độ.

Kiểm soát pH và kiềm

Nước mưa thường có tính axit, làm giảm pH và kiềm của ao nuôi. Khi pH dao động lớn giữa ngày và đêm, tôm khó lột xác, dễ tổn thương mang và chậm lớn. Giải pháp: Đo pH mỗi sáng và chiều để kịp thời phát hiện biến động. Sau mỗi cơn mưa, rải vôi Dolomite (2 - 3 kg/100 m²) quanh bờ ao hoặc sử dụng CaCO ₃ để ổn định pH và bổ sung khoáng. Duy trì độ kiềm từ 80 - 120 mg/L CaCO ₃ bằng cách sử dụng Dolomite theo khuyến cáo kỹ thuật.

Quản lý hàm lượng khí độc

Mưa kéo dài làm khuấy động tầng đáy, giải phóng các khí độc như H₂S, NH₃. Hàm lượng khí độc tăng cao gây hiện tượng tôm nổi đầu, giảm ăn hoặc chết rải rác.

Giải pháp: Định kỳ 3 - 5 ngày sử dụng chế phẩm vi sinh xử lý đáy để phân hủy chất hữu cơ; Tăng cường chạy quạt nước hoặc máy sục khí để duy trì hàm lượng ôxy hòa tan > 5 mg/L. Sau mưa, bón Zeolite 2 - 3 kg/100 m² để hấp phụ khí độc và làm sạch đáy ao.

Mưa bão thường cuốn theo đất cát, lá cây và chất thải từ môi trường xung quanh, dễ làm tăng độ đục và ô nhiễm hữu cơ trong ao. Cần hạn chế cấp nước trực tiếp từ mưa hoặc nguồn nước chưa qua xử lý. Lắp đặt hệ thống lắng lọc trước khi cấp nước mới. Sau mưa, cần tiến hành xi phông bùn đáy, vớt rác nổi và bọt bẩn để giảm chất hữu cơ phân hủy.

Kiểm soát tảo và độ trong

Sự thay đổi ánh sáng, nhiệt độ và dinh dưỡng trong mùa mưa dễ làm tảo phát triển bất ổn: lúc thì nở hoa, lúc suy tàn nhanh, gây độc cho tôm. Vì vậy, cần duy trì độ trong 30 - 40 cm bằng việc sử dụng khoáng, vi sinh hoặc bón mật rỉ đường để nuôi tảo có lợi. Tránh sử dụng hóa chất diệt tảo đột ngột vì dễ làm giảm hàm lượng ôxy và tăng độc tố.

Tăng cường sức đề kháng

cho tôm

Chất lượng nước biến động làm tôm bị stress và suy giảm miễn dịch. Cần bổ sung Vitamin C, khoáng chất và men tiêu hóa vào khẩu phần ăn, đặc biệt là sau những đợt mưa lớn. Điều chỉnh lượng thức ăn phù hợp với sức ăn thực tế, tránh dư thừa làm ô nhiễm nước.

HOÀNG YẾN

 Quản lý chất lượng nước ao nuôi tôm mùa mưa bão đòi hỏi sự chủ động và theo dõi sát sao các yếu tố môi trường như độ mặn, pH, kiềm, khí độc và độ trong. Kết hợp biện pháp xử lý đáy, duy trì hệ vi sinh ổn định, bổ sung dinh dưỡng và gia cố ao sẽ giúp hạn chế thiệt hại, đảm bảo an toàn cho vụ nuôi. Duy trì chất lượng nước cấp

Xử lý hiện tượng váng bọt khó tan trong ao

Việc chạy quạt nước hoặc ôxy đáy trong nuôi tôm là điều kiện hình thành màng bọt trên mặt ao nuôi. Trong điều kiện nước sạch, không nhớt, không có vật chất lơ lửng, màng bọt sẽ nhanh chóng tan đi. Trường hợp màng bọt lâu tan, tạo thành vệt dài sau guồng quạt hoặc tập trung ở góc ao tạo thành váng bọt là do nước có độ nhớt, môi trường nước nuôi đang xấu đi, ảnh hưởng đến sinh trưởng và phát triển của tôm, nghiêm trọng hơn có thể gây thiệt hại cho tôm nuôi.

Nguyên nhân

- Trong điều kiện thuận lợi (dư thừa chất hữu cơ, mất

cân bằng dinh dưỡng Nitơ và Phospho), các loài tảo độc như tảo lam, tảo giáp, tảo mắt, tảo

đỏ,… phát triển mạnh, tảo nở hoa, sẽ sản sinh ra nhiều chất

độc gây nhớt nước ao, tạo váng bọt khó tan.

- Nếu pH nước không ổn

định, độ kiềm thấp hoặc diệt tảo không đúng cách sẽ làm tảo chết

đồng loạt, gây ô nhiễm nước ao nuôi tạo váng bọt khó tan.

- Trong quá trình phân hủy yếm khí lớp bùn bã hữu cơ từ đáy ao nuôi đã làm sản sinh các khí độc như H 2S, CH 4, NH 3, NO 2,… Các khí sản sinh sẽ kết hợp lượng ôxy hòa tan trong nước để chuyển hóa thành dạng ít độc hơn và sẽ nhanh chóng phóng thích khỏi môi trường. Khi lượng chất thải hữu cơ tích tụ đáy ao nhiều, quá trình phân giải yếm khí xảy ra mạnh, khí độc sẽ gia tăng hình thành váng bọt trong ao. Nước ao nuôi có pH cao và nhiệt độ cao khả năng gây độc cho tôm càng gia tăng. - Sự phát triển của các vi sinh vật dạng sợi khi xảy ra sự mất cân bằng dinh dưỡng. Các vi sinh vật này có khả năng sinh ra các hợp chất kỵ nước kết nối với bọt khí tạo váng bọt, đồng thời, khi chết đi, các vi sinh vật này sẽ phóng thích các chất bề mặt sinh học gây

nhớt nước, sự hình thành váng

bọt càng gia tăng. - Chất rắn lơ lửng làm nước

bị nhớt, bị đục, lợn cợn dẫn đến

sự hình thành váng bọt, có 2 nguyên nhân chính:

+ Nguyên nhân từ tự nhiên:

Đất trên bờ ao bị rửa trôi vào

mùa mưa; Các hạt keo đất sét lơ

lửng không lắng tụ (vô cơ); Sự

hoạt động mạnh mẽ của động

vật thủy sản, vi sinh vật cũng có thể làm đục nước ao nuôi, đặc biệt là những ao nuôi mật độ cao.

+ Nguyên nhân từ con người: Sử dụng vôi kém chất lượng, nhiều tạp chất để khử chua, tăng độ kiềm; Ao nông hoặc sên vét ao không kỹ cũng làm nước bị đục; Lượng thức ăn dư thừa và chất thải tôm nhiều nhưng không được xử lý.

Tác hại

- Là điều kiện thuận lợi để lây truyền các bệnh trên tôm; - Tôm thiếu ôxy để hô hấp; - Tôm ăn kém, giảm ăn và bỏ ăn hàng loạt; - Tôm còi cọc, chậm lớn, dễ nhiễm bệnh, giảm năng suất;

Cách xử lý

Ổn định mật độ tảo trong ao bằng cách duy trì các chỉ tiêu pH, độ kiềm ổn định.

Quản lý chặt chẽ việc cho ăn.

Loại bỏ chất thải bùn đáy ra khỏi ao bằng cách thay nước, hút bùn và xi phông đáy ao.

Một dạng tổng hợp của 5 loại enzyme:

Protease, Amylase, Cellulase, Lipase, Urease, giúp khống chế tảo độc và bùn bã hữu cơ. Xử lý sạch váng bọt chỉ sau 12 giờ sử dụng

Gia cố kỹ bờ ao, ao nuôi phải có độ sâu phù hợp.

Trường hợp nước đục, cần xác định nước đục vô cơ hay hữu cơ để có cách xử lý thích

hợp, bằng cách lấy 1 lượng nước thích hợp cho vào xô hoặc bình thủy sinh, để yên sau 1 tuần, nếu nước vẫn đục thì là do các hạt đất sét lơ lửng, nếu có lớp cặn lắng tự ở đáy thì nguyên nhân là do chất hữu cơ.

Sử dụng chế phẩm sinh

học. Các chủng vi khuẩn có lợi Bacillus spp. có khả năng phân

AQ 6S

Vi sinh chuyên xử lý tảo, chất hữu cơ dư thừa và bùn đáy ao nuôi, với các loài vi khuẩn như B.subtilis, B.amyloliquefaciens, B.pumilus,... Xử lý nhớt bạt và bọt bẩn nhanh chóng

hủy bùn đáy và chất hữu cơ dư thừa trong nước.

Giải pháp từ Thái Nam

Việt

Chế phẩm Enzyme đậm đặc với hoạt lực mạnh sẽ xử lý váng bọt cũng như chất hữu cơ dư thừa chỉ sau 12 giờ sử dụng. Việc bổ sung chế phẩm vi sinh sau đó sẽ duy trì hiệu quả kiểm soát chất lượng nước, giúp tiết kiệm thời gian, chi phí và nâng cao năng suất.

THÁI NAM VIỆT

Thông tin liên hệ: Công ty TNHH Công nghệ Sinh hóa Thái Nam Việt

Địa chỉ: 126 Lã Xuân Oai, phường Tăng Nhơn Phú, TP Hồ Chí Minh

ĐT: 0888 59 63 66 (Zalo)

Email: info@thainamviet.com - Website: thainamviet.com

PROCOZOLL

C.P. Việt Nam xác nhận kỷ lục tôm sú 14 con/kg tại khu nuôi CPF-COMBINE của anh Sang

Xác nhận kỷ lục 14 con/kg từ tôm sú giống của C.P. Việt Nam

Chỉ sau hơn một năm ra mắt, tôm sú giống C.P. Việt Nam đã khẳng định được vị thế với hàng loạt

thành công từ khách hàng trên khắp cả nước. Và hôm nay, chúng ta tiếp tục được chứng kiến một

cột mốc mới: kỷ lục nuôi tôm sú đạt kích cỡ lớn 14 con/kg chỉ sau 160 ngày, đến từ khách hàng Phạm Thành Sang tại xã Bình Đại, tỉnh Vĩnh Long.

Với nỗ lực tiên phong và không ngừng đổi mới, C.P. Việt Nam đã liên tục tạo nên những dấu ấn ấn tượng trong ngành nuôi tôm Việt Nam. Từ thành công vang dội của TTCT với kích cỡ kỷ lục 15 con/kg đến sự ra đời của tôm sú giống CPF SUPER MONODON - một thành quả sau hơn 20 năm nghiên cứu tâm huyết.

Kỳ tích ấn tượng

Bằng việc chọn thả tôm giống sú CPF SUPER MONODON, kết hợp sử dụng thức ăn công nghệ dinh dưỡng đột phá LEXUS từ C.P. Việt Nam, trong vụ nuôi này, anh Sang vô cùng ngỡ Tôm sú giống CPF SUPER MONODON đạt kích cỡ 12 - 14 con/kg sau 1 60 ngày nuôi

Giải pháp hiệu quả

Có dịp gặp gỡ anh Sang vào tháng 8/2025, chúng tôi được anh dẫn đến khu nuôi tôm sú, anh chia sẻ: “Vụ này tôi nuôi tôm sú giống của C.P. Việt Nam, thật sự là tôi cũng bất ngờ với kết quả đạt được. Chỉ sau 160 ngày nuôi, tôm đã đạt kích cỡ 12 - 14 con/kg. Đây là tốc độ lớn nhanh kỷ lục từ trước đến nay mà tôi từng nuôi được”. Nhấc vó tôm lên, anh Sang cho biết thêm: “Tôm lớn nhanh đồng nghĩa với việc rút ngắn được chu kỳ nuôi, giảm thiểu rủi ro dịch bệnh và tiết kiệm được rất nhiều chi phí. Quan ngàng với kết quả đạt được. Hiện chỉ sau 160 ngày thả nuôi, đàn tôm của anh Sang đang đạt kích cỡ 12 - 14 con/kg, với sản lượng hơn 3 tấn tôm. Đây là một kỷ lục tốc độ lớn nhanh vô cùng xuất sắc từ tôm sú siêu tăng trưởng của C.P. Việt Nam.

trọng nhất là, với kích cỡ 12 - 14 con/kg, giá bán cực kỳ tốt, giúp tôi thu về lợi nhuận cao hơn rất nhiều so với các vụ trước.

Tôi tin rằng yếu tố then chốt chính là chất lượng con giống.

Tôm sú C.P. Việt Nam thực sự có sức đề kháng tốt, tốc độ tăng trưởng vượt trội. Cùng với quy trình chăm sóc đúng kỹ thuật, tôi hoàn toàn tự tin vào sản phẩm này. Tôi cũng muốn chia sẻ kinh nghiệm này đến bà con để cùng nhau làm giàu”.

Câu chuyện của anh Sang là minh chứng sống động cho chất lượng vượt trội của tôm sú giống CPF SUPER MONODON. Với khả

năng tăng trưởng đột phá, giống tôm sú của C.P. Việt Nam không chỉ giúp rút ngắn chu kỳ nuôi, giảm rủi ro mà còn tối đa hóa lợi nhuận cho người nông dân. Hãy

để tôm sú C.P. Việt Nam đồng hành cùng bạn trên con đường làm giàu. Đầu tư vào chất lượng con giống là đầu tư vào tương lai thịnh vượng của bạn.

Xin cảm ơn anh Sang và Quý khách hàng trên khắp cả nước đã luôn tin yêu, đồng hành cùng

C.P. Việt Nam. Kính chúc anh và Quý khách hàng có những vụ mùa thành công, thắng lợi hơn nữa.

C.P. VIỆT NAM

CÔNG NGHỆ NANO BUBBLES

Chìa khóa

nâng cao hiệu quả

vụ nuôi

Trong bối cảnh ngành thủy sản đang đối mặt với nhiều thách thức như ô nhiễm môi trường nước, dịch bệnh lan rộng và hiệu quả nuôi trồng ngày càng giảm sút, Công ty TNHH B.H.N đang từng bước tiên phong trong việc ứng dụng công nghệ Nano Bubble vào các trang trại nuôi tôm, nuôi cá tại

Việt Nam. Đây được xem là một giải pháp đột phá, bền vững, góp phần nâng cao năng suất và chất lượng trong ngành nuôi trồng thủy sản hiện đại.

Công nghệ mới cho nuôi trồng thủy sản

Nano Bubble là công nghệ tạo ra các bọt khí siêu nhỏ (nhỏ hơn 200 nanomet), khó có thể nhìn thấy bằng mắt thường, có khả năng phân tán đều và lơ lửng trong nước trong thời gian dài. So với các thiết bị sục khí truyền thống, Nano Bubble có hiệu suất chuyển hóa ôxy cao hơn gấp nhiều lần, giúp nâng cao lượng ôxy hòa tan (DO) trong nước lên mức ổn định từ 6 – 8 ppm, kể cả ở tầng đáy ao.

Khi môi trường nước được cải thiện, vật nuôi như tôm và cá sẽ khỏe mạnh hơn, tăng sức đề kháng và phát triển nhanh hơn. Hơn nữa, bọt khí nano còn hỗ trợ quá trình phân hủy chất hữu cơ, hạn chế mùi hôi, giảm thiểu khí độc như NH3 và H2S – vốn là nguyên nhân chính gây bệnh cho thủy sản.

Ứng dụng thực tế và tiềm năng nhân rộng

Thời gian qua, công ty B.H.N đã áp dụng thành công

công nghệ Nano Bubble tại một số trang trại nuôi tôm tại

Việt Nam. Kết quả ban đầu cho thấy sự cải thiện rõ rệt về môi trường nước, tỷ lệ sống của con giống tăng, chi phí thuốc giảm và thời gian nuôi được rút ngắn.

Đây là tín hiệu tích cực, mở ra hướng đi mới cho việc nhân rộng mô hình Nano Bubble ra toàn quốc, đặc biệt tại các vùng nuôi trọng điểm như Cà Mau, Khánh Hòa và Gia Lai – nơi có điều kiện tự nhiên phù hợp và đang đối mặt với áp lực ô nhiễm ngày càng lớn.

Cam kết đồng hành và hỗ trợ từ B.H.N

Không chỉ cung cấp thiết bị

Nano Bubbles chất lượng cao, Công ty TNHH B.H.N còn cam kết đồng hành cùng người nuôi thông qua dịch vụ khảo sát thực tế, lắp đặt, hướng dẫn vận hành và hỗ trợ kỹ thuật trong suốt quá trình sử dụng. Mục tiêu của

B.H.N là không chỉ bán thiết bị, mà mang đến giải pháp toàn diện giúp người nuôi tăng năng suất, giảm chi phí và bền vững dài lâu.

Với phương châm “Công nghệ vì một ngành thủy sản xanh và sạch”, B.H.N kỳ vọng Nano Bubbles sẽ trở thành một phần không thể thiếu trong mỗi trang trại nuôi tôm, cá hiện đại tại Việt Nam, góp phần vào sự phát triển bền vững của ngành thủy sản nước nhà trong thời kỳ hội nhập.

Thông tin liên hệ: CÔNG TY TNHH B.H.N

Số điện thoại: 028.668.101.95~96

Website: bhnenc.com

Email: bhnenc@gmail.com

Địa chỉ: Số DP-18 Dragon Parc2, KDC Phú Long, đường Nguyễn Hữu Thọ, xã Nhà Bè, TP Hồ Chí Minh

DINH DƯỠNG

Nhân tố cốt lõi cho nuôi thủy sản bền vững

Trong xu hướng phát triển nuôi trồng thủy sản

theo hướng thâm canh, dinh dưỡng ngày càng

được coi là yếu tố then chốt quyết định đến năng suất, chất lượng sản phẩm và sức khỏe vật nuôi. Việc bổ sung đúng và đủ các vi chất thiết yếu không chỉ giúp giảm chi phí sản xuất mà còn góp phần đảm bảo sự ổn định và phát triển dài hạn của mô hình nuôi.

Theo các chuyên gia, vitamin, axit amin, khoáng chất và enzyme là những hợp chất không thể thiếu trong khẩu phần ăn, bởi thủy sản không thể tự tổng hợp hoặc tổng hợp không đủ để đáp ứng nhu cầu sinh lý. Nhận thức rõ điều này, nhiều doanh nghiệp đã chủ động phát triển các dòng sản phẩm dinh dưỡng chuyên biệt, giúp giải quyết hiệu quả các vấn đề thực tiễn trong ao nuôi.

Một trong những sản phẩm nổi bật hiện nay là PROLOT AQUA – chế phẩm vi sinh thế hệ mới, được đánh giá là giải pháp vàng trong quản lý ao nuôi. Với công thức cải tiến, Prolot Aqua có khả năng thích nghi cao với những ao nuôi có độ pH, độ mặn và độ kiềm biến động lớn – những yếu tố ngày càng phổ biến trong bối cảnh biến đổi khí hậu. Sản phẩm giúp ổn định hệ vi sinh, ức chế vi khuẩn có hại như Vibrio, giảm tích tụ bùn đáy – nguyên nhân dẫn đến ô nhiễm và phát sinh dịch bệnh.

Đặc biệt, các chủng vi sinh trong

Prolot Aqua không mang gen

biến đổi, đảm bảo an toàn sinh học, không gây bệnh ngược lại

cho vật nuôi và hiệu quả rõ rệt trong việc kiểm soát Luminous Bacteria – tác nhân gây bệnh phát sáng trên tôm.

Bên cạnh đó, dòng sản phẩm

AQUA GP là lựa chọn tối ưu cho

các mô hình nuôi thâm canh, nhờ sự kết hợp cân đối giữa khoáng chất đa lượng, vi lượng, vitamin, axit amin và probiotics.

AQUA GP giúp tăng trọng nhanh, nâng cao chất lượng thịt, cải thiện hệ số chuyển đổi thức ăn (FCR), đồng thời tăng cường khả năng hấp thu canxi – photpho và sức đề kháng cho vật nuôi.

Đối phó với stress – mối nguy thường gặp trong các giai đoạn nhạy cảm như giao mùa, thu hoạch hay thay đổi môi trường – cũng là một phần quan trọng trong chiến lược dinh dưỡng.

VIT-ON được phát triển để hỗ trợ kiểm soát stress bằng cách cân bằng ion, tăng cường miễn dịch và giảm shock. Sản phẩm chứa kali clorua và natri – hai thành phần đóng vai trò then chốt trong điều hòa áp suất thẩm thấu và trao đổi chất.

Tương tự, LEX AQUA C mang lại giải pháp chủ động trong việc

phòng ngừa stress và các bệnh tiềm ẩn. Sản phẩm hỗ trợ duy trì chu kỳ lột xác ổn định, cải thiện tốc độ tăng trưởng, nâng cao sức khỏe tổng thể và chất lượng thịt – đặc biệt phù hợp với các mô hình nuôi ở mật độ cao. Không dừng lại ở đó, bảo vệ chức năng gan – cơ quan chuyển hóa quan trọng nhất – cũng là yếu tố được chú trọng. OPTILIV, với thành phần chiết xuất từ thảo dược tự nhiên, mang đến hiệu quả rõ rệt trong việc kích thích, bảo vệ và tái tạo gan. Đây là hướng đi phù hợp với nhu cầu ngày càng cao về sản phẩm thủy sản an toàn, sạch và không dư lượng kháng sinh.

Trong khi đó, LIQUI-ZYME Aqua – dòng enzyme tiêu hóa chuyên biệt – hỗ trợ chuyển hóa

các dưỡng chất khó hấp thu, vô hiệu hóa yếu tố kháng dinh dưỡng và tăng cường hiệu suất tiêu hóa nguyên liệu có nguồn gốc thực vật. Nhờ đó, vật nuôi tăng trưởng nhanh hơn và người nuôi giảm được chi phí thức ăn – một trong những khoản chi lớn nhất trong nuôi trồng thủy sản. Nhìn chung, các sản phẩm dinh dưỡng thế hệ mới không chỉ là công cụ kỹ thuật mà còn thể hiện xu hướng tiếp cận nuôi trồng thủy sản hiện đại – chính xác – bền vững. Sự kết hợp giữa dinh dưỡng khoa học, quản lý môi trường ao nuôi và kiểm soát sức khỏe vật nuôi sẽ là chìa khóa để nâng cao giá trị và năng lực cạnh tranh của ngành thủy sản Việt Nam trong giai đoạn mới.

SEVEN HILLS

Seven Hills Trading được thành lập vào năm 2017, có trụ sở tại TP Hồ Chí Minh, là nhà phân phối uy tín các sản phẩm ngũ cốc, nguyên liệu thức ăn chăn nuôi, sản phẩm thủy sản – thú y và nông sản cho thị trường Việt Nam và quốc tế. Công ty cung cấp giải pháp toàn diện cho các trang trại, với nguồn hàng từ các

DALACYST

Đồng hành cùng sự phát triển

của ngành nuôi trồng thủy sản

Việt

Nam với

sản phẩm trứng

Artemia giàu dưỡng chất

Khi ngành nuôi trồng thủy sản

Việt Nam tiếp tục duy trì đà tăng trưởng ấn tượng, nhu cầu về các giải pháp dinh dưỡng

chất lượng cao, bền vững và hiệu quả kinh tế trở nên cấp thiết hơn bao giờ hết. Trong bối cảnh giá đầu vào leo thang và yêu cầu quản lý tài nguyên

ngày càng khắt khe, dinh

dưỡng tiên tiến và nguyên liệu

thức ăn đổi mới đang dần trở thành trọng tâm.

Trứng Artemia cao cấp của Dalacyst chính là một giải pháp nổi bật – mang đến nguồn dưỡng chất thiết yếu giúp vật nuôi phát triển khỏe mạnh, đồng thời thúc đẩy mô hình nuôi bền vững trong dài hạn.

Artemia – “thức ăn sống vàng” cho ấu trùng thủy sản

Trứng Artemia, thường được gọi là trứng tôm nước mặn, từ lâu đã được xem là thức ăn sống lý tưởng cho giai đoạn ấu trùng của tôm, cá và các loài giáp xác. Nhờ giá trị dinh dưỡng cao và dễ sử dụng, Artemia là nguyên liệu không thể thiếu trong các trại giống trên toàn thế giới.

Dalacyst tự hào cung cấp nguồn trứng Artemia vượt trội

về chất lượng – được sản xuất qua quy trình nghiêm ngặt, đảm bảo giá trị dinh dưỡng tối ưu và khả năng nở đồng đều. Ưu điểm dinh dưỡng vượt

trội của trứng Artemia Dalacyst:

- Hàm lượng protein cao (50 - 60%): Giúp tăng trưởng nhanh và phát triển khối cơ ở ấu trùng.

- Giàu chất béo và axit amin thiết yếu: Cung cấp năng lượng tập trung và nền tảng phát triển toàn diện.

- Bổ sung vitamin và vi khoáng: Hỗ trợ hệ miễn dịch và tăng cường sức sống.

- Kích thích bản năng săn mồi tự nhiên: Nauplius màu cam sống động sau khi nở kích thích hành vi bắt mồi, giúp ấu trùng ăn mạnh và hấp thụ tốt.

- Nở đồng đều trong 24 - 48

giờ: Đảm bảo nguồn thức ăn tươi sống ổn định, dễ quản lý cho người nuôi.

Hướng tới mô hình nuôi trồng thủy sản bền vững

Ngành thủy sản Việt Nam đang tích cực tìm kiếm các giải pháp giúp nâng cao hiệu quả sản xuất và giảm thiểu tác

động môi trường. Với nguồn nguyên liệu được khai thác bền vững từ các hồ muối nội địa tại Kazakhstan, Dalacyst cam kết mang đến chuỗi cung ứng thân thiện với môi trường.

Việc sử dụng trứng Artemia chất lượng cao không chỉ cải thiện hiệu quả chuyển hóa thức ăn, giảm lãng phí mà còn giúp

nâng cao năng suất tổng thể tại trang trại. Ấu trùng khỏe mạnh, được nuôi bằng dinh dưỡng đầy đủ, có sức đề kháng tốt hơn, ít phụ thuộc vào các biện pháp can thiệp khác – góp phần xây dựng hệ thống nuôi ổn định và hiệu quả hơn.

Dalacyst tự hào đồng hành cùng tầm nhìn của Việt Nam về một ngành thủy sản hiện đại, hiệu quả và bền vững. Trứng Artemia của chúng tôi không đơn thuần là một loại thức ăn – mà là khoản đầu tư chiến lược cho sức khỏe và lợi nhuận lâu dài của đàn nuôi.  Liên hệ hợp tác: WhatsApp: +7 776 377 3000 Email: office.dalacyst@gmail.com

CAT bổ nhiệm ông Sam May phụ

Trung tâm Công nghệ Nuôi trồng Thủy sản (CAT) vừa công bố bổ nhiệm ông Samuel May vào vị trí

Trưởng bộ phận Dịch vụ Di truyền khu vực Mỹ và Canada, đánh dấu bước đi tiếp theo trong chiến

lược mở rộng và đẩy mạnh các giải pháp di truyền tiên tiến cho ngành thủy sản toàn cầu.

Ông Sam May mang đến cho CAT nền tảng khoa học vững chắc cùng bề dày kinh nghiệm thực tiễn trong các lĩnh vực nghiên cứu san hô, di truyền cá hồi và chọn giống trong nuôi trồng thủy sản. Niềm đam mê với di truyền học đến với ông từ thời đại học, sau một khóa học về di truyền quần thể. Từ đó, ông quyết tâm theo đuổi con đường học thuật, hoàn thành chương trình tiến sĩ ngành di truyền và sau đó giữ vai trò quản lý chương trình chọn giống cá hồi của Bộ Nông nghiệp Mỹ (USDA) tại bang Maine. Tại đây, ông tập trung phát triển các giải pháp như bảo tồn lạnh, tối ưu hóa tính trạng và duy trì đa dạng di truyền nhằm nâng cao hiệu quả và tính bền vững của chương trình giống.

Gia nhập CAT, ông Sam kỳ vọng có thể đóng góp nhiều hơn cho ngành bằng các ứng dụng thực tế. “Tôi muốn chuyển từ lý thuyết học thuật sang các giải pháp có tác động rõ rệt. CAT chính là nơi tôi có thể làm điều đó – làm việc đa loài, giải quyết những vấn đề phức tạp và hỗ trợ khách hàng đạt được những bước tiến về di truyền”, ông chia sẻ.

Ông cũng đánh giá cao văn hóa hợp tác và tinh thần đổi mới tại CAT – đơn vị hiện đang quản lý hơn 20 chương trình chọn giống cho hơn 12 loài

thủy sản. Với bộ công cụ hơn

50 giải pháp di truyền cùng chuyên môn sâu về genotyping, chỉnh sửa gen, phân tích dữ liệu và chiến lược chọn giống

định lượng, CAT đang cung cấp

các giải pháp “đo ni đóng giày” giúp khách hàng tối ưu hiệu suất, tăng cường tính bền vững và nâng cao giá trị sản xuất.

“Ông Sam sẽ là mảnh ghép quan trọng giúp chúng tôi tăng cường hỗ trợ khách hàng tại

Bắc Mỹ,” bà Klara Verbyla, Phó

Chủ tịch phụ trách Cải tiến Di truyền tại CAT cho biết. “Kinh nghiệm đa dạng của ông ấy giúp rút ngắn khoảng cách giữa công nghệ di truyền hiện đại và thực tiễn sản xuất – điều mà khách hàng của chúng tôi rất cần”.

Trên cương vị mới, ông Sam sẽ đồng hành cùng các doanh nghiệp thủy sản trong việc triển khai công nghệ chọn giống, phân tích dữ liệu và đưa ra các quyết định tối ưu trong chiến lược giống. Theo ông, di truyền là một trong những công cụ mạnh mẽ nhất để ngành nuôi trồng giải bài toán về tăng trưởng, kháng bệnh và phát triển bền vững. “Áp dụng đúng công cụ, người nuôi có thể tạo ra đàn cá khỏe mạnh, tăng trưởng nhanh và đáp ứng thị trường ngày càng khắt khe hơn”, ông nói.

Trong bối cảnh ngành thủy sản toàn cầu đang đối mặt với nhiều thách thức về môi trường

và sản xuất, CAT tiếp tục khẳng

định vai trò tiên phong bằng

cách mang đến những giải

pháp di truyền hiệu quả, dễ ứng dụng và mang lại giá trị thực tiễn cao cho người nuôi.

Về

CAT

Trung tâm Công nghệ Nuôi trồng Thủy sản (Center for Aquaculture Technologies –

CAT) là đơn vị tiên phong trong ứng dụng công nghệ di truyền cho ngành thủy sản. CAT cung cấp giải pháp toàn diện – từ chọn giống, giải trình tự gen đến chỉnh sửa gen – giúp đối tác nâng cao hiệu quả, tối ưu nguồn lực và phát triển bền vững thông qua chiến lược Next-Gen Breeding™.

CAT

 Website: https://aquatechcenter.com

 Liên hệ truyền thông: Emma Crolla – Giám đốc Marketing

 Email: ecrolla@aquatechcenter.com

 Điện thoại: +44 7901 671831

SITTO BLACK GARLIC

Thảo dược nâng cao sức khỏe cho tôm

Sử dụng các chế phẩm có nguồn gốc thảo dược đang trở thành xu hướng tất yếu trong nuôi tôm, giúp giảm phụ thuộc kháng sinh, nâng cao chất lượng và an toàn thực phẩm.

Ưu điểm vượt trội

Cao tỏi đen là nguyên liệu có giá trị trong nuôi tôm với nhiều ưu điểm vượt trội so với các loại hóa chất, thuốc kháng sinh. Đây là nguyên liệu giàu hoạt chất sinh học - nổi bật nhờ khả năng kháng khuẩn, kháng virus, chống ôxy hóa và tăng cường miễn dịch mà không gây hiện tượng kháng thuốc, rất tốt cho sức khỏe của tôm nuôi.

Sitto Black Garlic là sản phẩm được nghiên cứu và sản xuất theo tiêu chuẩn kỹ thuật cao, sản phẩm chứa cao tỏi đen tinh khiết với hàm lượng hoạt chất vượt trội, giúp tôm khỏe

mạnh, tăng trưởng nhanh, tăng sức đề kháng và bảo vệ gan tụy. Sitto Black Garlic bao gồm các thành phần hoạt chất nổi bật, như:

S-Allyl-Cysteine (SAC): Là hợp chất lưu huỳnh hữu cơ đặc trưng của tỏi đen, có tính bền và tan tốt trong nước. SAC có hoạt tính trung hòa làm giảm các gốc tự do (ROS) trong cơ thể tôm, giúp chống lại stress ôxy hóa, bảo vệ tế bào miễn dịch, tế bào gan tụy, giảm stress từ nhiệt độ, mật độ nuôi, độc tố (NH3, NO2-) và các mầm bệnh. SAC có khả năng điều hòa các gene và protein trong hệ miễn

dịch giúp tăng đáp ứng miễn dịch, tăng sức đề kháng đối với các vi khuẩn, virus gây bệnh (như Vibrio,…). SAC giảm sản xuất cytokine tiền viêm và tăng cytokine kháng viêm giúp hệ miễn dịch phản ứng vừa đủ, hạn chế viêm quá mức, bảo vệ mô gan tụy và đường ruột.

Polyphenol & Flavonoid: Là những hợp chất hữu cơ có hoạt tính chống ôxy hóa mạnh, bảo vệ tế bào, giảm tổn thương gan tụy khi có độc tố, giảm cytokine tiền viên giúp kháng viêm, bảo vệ mạch máu, hỗ trợ miễn dịch.

Vitamin E: Cùng SAC, polyphenol, flavonoid tạo hệ

chống ôxy hóa đa tầng. SAC và Polyphenol tan trong nước bảo vệ môi trường nội bào. Vitamin E tan trong lipid bảo vệ màng tế bào, vi bào quan (như ty thể, lưới nội chất). Bảo vệ axit béo màng tế bào gan tụy của tôm khỏi peroxy hóa khi gặp stress (nhiệt độ, NH3, NO2-). Có tác dụng tăng sức đề kháng, gián tiếp cải thiện tỷ lệ sống. Amino axit tự do: Là nguồn đạm dễ được hấp thu nhanh qua ruột, tiết kiệm năng lượng tiêu hóa. Amino axit hỗ trợ miễn dịch kích thích sản xuất NO giúp bạch cầu diệt mầm bệnh. Amino axit giúp kích thích ăn, cải

thiện khả năng bắt mồi của tôm.

Fructose và đường khử: Nguồn năng lượng dễ hấp thu, giúp tôm phục hồi nhanh, duy trì trao đổi chất ổn định.

Sorbitol: Ổn định kết cấu viên thức ăn, tăng sức hấp dẫn của thức ăn nhờ vị ngọt nhẹ và mùi thơm đi kèm với amino axit, đường khử, tăng tính bắt mồi. Cùng với fructose, sorbitol giúp giảm stress thẩm thấu cho tôm trong điều kiện biến động mặn, ngọt.

Giải pháp bền vững

Việc bổ sung Sitto Black

Garlic hàng ngày vào khẩu phần

ăn và môi trường ao nuôi mang lại hiệu quả rõ rệt: Phòng và hỗ trợ điều trị

bệnh đường ruột: Giảm phân trắng, phân vàng, phân lỏng, viêm và xuất huyết đường ruột, ruột nhỏ hoặc xuất hiện hạt gạo.

Cải thiện tiêu hóa và tăng trưởng: Nong to đường ruột, tăng khả năng hấp thu dinh dưỡng, giúp tôm ăn khỏe, lớn nhanh.

Tăng sức đề kháng và miễn dịch: Hỗ trợ tôm chống chịu khi thời tiết biến động, mật độ nuôi cao hoặc môi trường biến đổi.

Bảo vệ gan tụy: Duy trì chức năng gan khỏe mạnh, màu sắc

gan nâu đen ổn định, hạn chế tổn thương từ độc tố môi trường và mầm bệnh.

Liềulượngvàcáchsửdụng:

 Phòng bệnh: 5 - 7 mL/kg thức ăn, 1 cữ/ngày suốt cả vụ nuôi.

 Nong to đường ruột: 10 mL/kg thức ăn, 1 cữ/ngày liên tục 5 ngày.

 Hỗ trợ điều trị bệnh:

- Viêm ruột, xuất huyết

đường ruột: 10 - 15 mL/kg thức ăn, 2 cữ/ngày trong 5 - 7 ngày.

- Phân trắng, đường ruột bị hạt gạo: 15 - 20 mL/kg thức ăn, 2 cữ/ngày trong 5 - 7 ngày.

- Tạt bổ sung: 1 L/1.0001.500 m³ nước khi điều trị bệnh. Sitto Black Garlic không chỉ là chế phẩm bổ sung, mà còn là giải pháp phòng bệnh chủ động, góp phần giảm thiểu sử dụng kháng sinh, nâng cao chất lượng và giá trị thương phẩm của tôm. Với nền tảng khoa học và nguồn nguyên liệu thảo dược tự nhiên, sản phẩm mang lại hiệu quả ổn định, an toàn và kinh tế cho người nuôi.

Sitto Việt Nam - Đồng hành cùng bà con nuôi tôm bền vững, an toàn và hiệu quả.

PHÒNG MARKETING, CÔNG TY TNHH SITTO VIỆT NAM

Doanh nghiệp cần đa dạng hóa thị trường

Theo Hiệp hội Chế biến và Xuất khẩu Thủy sản Việt Nam (VASEP), lũy kế 7 tháng đầu năm 2025, kim ngạch xuất khẩu thủy sản của nước ta đạt khoảng 6,22 tỷ USD, tăng 17,2% so cùng kỳ. Dự báo, trong những tháng cuối năm 2025, hoạt động xuất khẩu thủy sản của Việt Nam sẽ gặp không thách thức. Tuy vậy, dư địa tăng trưởng các dòng sản phẩm chế biến sâu sẽ rộng mở nhờ sự phục hồi mạnh mẽ của thị trường Trung Quốc, ASEAN, Nhật Bản. Cùng với đó, tín hiệu gỡ bỏ rào cản kỹ thuật từ các nước thuộc khối EU, các hiệp định thương mại (EVFTA, CPTPP, UKVFTA) tiếp tục tạo lợi thế về thuế quan so với các quốc gia cạnh tranh. VASEP dự báo, nếu các thị trường lớn thuận lợi, tính cả năm 2025, kim ngạch xuất khẩu thủy sản của Việt Nam có thể đạt khoảng 9 - 9,2 tỷ USD, giảm gần 10% so năm 2024.

Để có thể đạt được những mục tiêu này, các doanh nghiệp cần tiếp tục chủ động ứng phó những biến động, đa dạng hóa thị trường, nâng cao năng lực và công nghệ chế biến cũng như chất lượng sản phẩm, xây dựng vùng nguyên liệu ổn định,… NGUYỄN HẰNG

C.P. VIỆT NAM

Nhà máy thức ăn thủy sản C.P. Bến Tre đạt chứng nhận

ASC Feed

Ngày 29/7, chi nhánh Nhà máy thức ăn thủy sản C.P. Bến TreCông ty CP Chăn nuôi C.P. Việt Nam được cấp chứng nhận ASC Feed. ASC Feed (Aquaculture Stewardship Council - Feed Standard) là bộ tiêu chuẩn toàn cầu, được thiết kế để đảm bảo rằng thức ăn sử dụng trong nuôi trồng thủy sản được sản xuất một cách bền vững, truy xuất minh bạch, giảm thiểu tác động tiêu cực đến môi trường và xã hội. Để đạt được ASC Feed, nhà máy đã phải đáp ứng hơn 260 điều khoản đánh giá khắt khe, từ quản trị nội bộ, hệ thống truy xuất nguồn gốc, đến kiểm soát tác động môi trường và tiêu chuẩn lao động. Việc đạt chứng nhận ASC Feed không chỉ là kết quả của một quá trình cải tiến liên tục, mà còn là bước đệm chiến lược để doanh nghiệp đồng hành sâu hơn với người nuôi, thúc đẩy áp dụng mô hình nuôi có trách nhiệm, giảm rủi ro, nâng cao hiệu quả và gia tăng giá trị xuất khẩu.

LÊ LOAN

Năm 2025 xuất khẩu thủy sản có thể đạt 9 - 9,2 tỷ USD Ảnh: MP

MINH PHÚ

Khai thác mạnh thị trường trong nước

Theo ông Lê Văn Điệp, Phó Tổng Giám đốc Công ty CP Tập đoàn Thủy sản Minh Phú, Việt Nam hiện đang xuất khẩu tôm đến các thị trường chính là Mỹ, Trung Quốc và Nhật Bản. Mặc dù là một trong những quốc gia có tỷ trọng xuất khẩu lớn đến thị trường Mỹ và

Trung Quốc nhưng do cạnh tranh về giá cả nên tình hình xuất khẩu trong thời gian vừa qua “không mấy khả quan”. Ban lãnh đạo cũng cho hay, công ty sẽ theo dõi thị trường và điều chỉnh kế hoạch kinh doanh linh hoạt, đẩy mạnh mở rộng sang các quốc gia châu Á nhằm giảm chi phí vận chuyển trong bối cảnh giá cước vận tải biển tăng cao và tìm kiếm thị trường ngách cũng như tăng khả năng phục vụ thị trường nội địa. Ban lãnh đạo Thủy sản Minh Phú cho biết sắp tới sẽ khai thác mạnh trở lại thị trường trong nước với mục tiêu đưa tổng tỷ trọng doanh thu nội địa từ mức 1% hiện tại lên 5 - 10%. NGUYỄN AN

Vừa qua, Công ty CP Việt Nam Food (VNF) đã giành giải Nhất Chương trình Đổi mới sáng tạo về nhựa năm 2025. Chương trình do Bộ Nông nghiệp và Môi trường phối hợp cùng Chương trình Phát triển Liên Hợp Quốc (UNDP) tổ chức. Trong số 116 đề xuất trên toàn quốc, VNF đã xuất sắc giành giải Nhất với sản phẩm màng bọc trái cây phân hủy sinh học và kháng khuẩn được chế tạo từ vỏ tôm và rơm rạ - hai phụ phẩm dồi dào từ ngành nông nghiệp. Giải pháp của VNF được đánh giá là mang tính đột phá, vừa thân thiện với môi trường, vừa thay thế hiệu quả túi nilon, màng nhựa khó phân hủy trong bảo quản thực phẩm. Đặc biệt, đây còn là mô hình ứng dụng kinh tế tuần hoàn điển hình, tận dụng nguồn tài nguyên nội địa để phục vụ sản xuất xanh và bền vững. Sau khi nhận giải trị giá 30.000 USD, VNF sẽ bước vào giai đoạn tăng tốc kéo dài 9 tháng để triển khai thí điểm sản phẩm ra thị trường. DIỆU CHÂU

SAO TA

Hoàn tất công tác thu hoạch tại các vùng nuôi

Tháng 7 năm 2025, Công ty CP Thực phẩm Sao Ta ghi nhận kết quả kinh doanh hợp nhất với tổng doanh số đạt 38,3 triệu USD, tăng 23% so cùng kỳ năm trước. Đối với mặt hàng tôm, sản lượng sản xuất thành phẩm tháng 7 đạt 3.545 tấn, tương đương 87% so cùng kỳ năm trước. Tuy nhiên, sản lượng tiêu thụ đạt 2.898 tấn, tăng 7% so cùng kỳ. Về hoạt động nuôi tôm, lãnh đạo công ty cho biết đã hoàn tất công tác thu hoạch tại các vùng nuôi trực thuộc công ty. Mặc dù từng nhận định tình hình nuôi tôm chung là không tốt, dịch bệnh khá lớn, khiến tôm thương phẩm không nhiều, giá tôm thương phẩm ở mức khá cao. Tuy nhiên, năm nay vùng nuôi của Sao Ta có nhiều kết quả khả quan, hy vọng sẽ góp phần đáng kể để cải thiện giá thành sản phẩm, tăng sức cạnh tranh. Năm 2025, Sao Ta lên kế hoạch kinh doanh với mục tiêu doanh thu đạt 6.540 tỷ đồng, lợi nhuận trước thuế đạt 420 tỷ đồng.

DUY MẠNH

GROBEST VIỆT NAM

Giao lưu và chia sẻ kiến thức với Grobest Thái Lan

Ngày 23/7 vừa qua, đoàn cán bộ nhân viên của Công ty TNHH

Grobest Industrial (Việt Nam) đã có chuyến thăm và làm việc tại Thái Lan trong khuôn khổ chương trình Farm Tour do Grobest Thái

Lan trực tiếp đón tiếp và phối hợp tổ chức. Trong suốt hành trình, các đại biểu tham gia đã cùng nhau: Tham quan các mô hình nuôi thực tế tại Thái Lan; Chia sẻ kiến thức chuyên môn, kinh nghiệm thực tiễn trong quản lý và nuôi tôm hiệu quả; Giao lưu văn hóa và kết nối giữa các phòng ban của 2 công ty. Chuyến đi lần này không chỉ mang đến những trải nghiệm thực tế quý báu, mà còn là dịp để Grobest Việt Nam và Grobest Thái Lan thắt chặt sự kết nối, mở rộng góc nhìn chuyên môn và cùng nhau học hỏi từ thực tiễn nuôi trồng tại địa phương. Grobest là Tập đoàn quốc tế lớn của Đài Loan, được thành lập 1974, có trụ sở tại Vương Quốc Anh với mạng lưới sản xuất và kinh doanh trên toàn cầu. Grobest Việt Nam được thành lập vào năm 2000, là thành viên thứ 13 của Tập đoàn. Từ khi được thành lập, Grobest Việt Nam luôn giữ vững vị thế là chuyên gia hàng đầu về dinh dưỡng thủy sản của cả nước. HUYỀN THƯƠNG

PHƯỚC HẢI

Ứng dụng công nghệ tăng năng suất tôm nuôi

Với diện tích 5 ha, Công ty CP Thủy sản Phước Hải (xã Phước Hải, TP Hồ Chí Minh) áp dụng công nghệ sinh học vào nuôi tôm

theo quy trình khép kín, tuần hoàn không sử dụng kháng sinh.

Theo đó, hệ thống ao nuôi được trang bị thiết bị cung cấp ôxy đáy và đo môi trường tự động. Nước được xử lý hóa chất qua hệ thống lắng nhằm loại bỏ chất hữu cơ lơ lửng và kim loại nặng, sau đó

được diệt khuẩn hoàn toàn trước khi đưa vào ao nuôi. Nước thải từ các ao nuôi được tuần hoàn qua hệ thống ao lắng và hồ lọc, đảm bảo tái sử dụng hiệu quả. Việc ứng dụng công nghệ đã giúp tăng năng suất lên 80 tấn/ha/vụ, gấp 16 lần so với phương pháp nuôi truyền thống (5 tấn/ha/vụ). Mỗi năm, công ty nuôi 3 vụ, doanh thu từ 20 - 30 tỷ đồng/năm. Sản phẩm tôm sạch của công ty đã đáp ứng các tiêu chuẩn khắt khe về chất lượng, an toàn thực phẩm và bảo vệ môi trường.

THÁI THUẬN

VIỆN NGHIÊN CỨU NUÔI TRỒNG

THỦY SẢN I

Tiếp đoàn công tác của Tổ chức Lutheran World Relief (LWR)

Ngày 11/07/2025, Viện Nghiên cứu Nuôi trồng thủy sản I đã tiếp đón đoàn công tác của Tổ chức Lutheran World Relief (LWR) về việc chuẩn bị cho Dự án hợp tác phát triển thủy sản trong khuôn khổ Chương trình “Lương thực vì sự tiến bộ” (Food for Progress - FFPr) do Bộ Nông nghiệp Mỹ (USDA) tài trợ. Tại buổi trao đổi chuyên sâu, hai bên đã tập trung vào hai ngành hàng chính là cá rô phi và tôm sú. Về định hướng nghiên cứu sắp tới, Viện Nghiên cứu Nuôi trồng thủy sản I xác định trọng tâm sẽ là cải tiến công nghệ sản xuất giống, phát triển mô hình nuôi an toàn sinh học và thân thiện môi trường, đồng thời thúc đẩy hợp tác quốc tế trong lĩnh vực di truyền chọn giống, dinh dưỡng và truy xuất nguồn gốc. Các nghiên cứu sẽ hướng đến việc nâng cao giá trị gia tăng cho sản phẩm rô phi và tôm

sú, nhằm mở rộng thị trường xuất khẩu. Buổi trao đổi khẳng định

tầm quan trọng của việc kết nối giữa nghiên cứu - sản xuất - thị trường, và mở ra cơ hội hợp tác mới trong việc nâng cao giá trị và tính bền vững cho ngành hàng cá rô phi và tôm sú của Việt Nam. DUY AN

VMC VIỆT NAM

Tham dự Hội chợ Thương mại Việt - Lào 2025

Ngày 17 - 21/7, Công ty VMC Việt Nam vinh dự là một trong những doanh nghiệp tham dự Hội chợ Thương mại Việt - Lào 2025 (VIETLAO EXPO 2025). Tham dự Hội chợ lần này, VMC Việt Nam giới thiệu đến khách tham quan bộ sản phẩm VMC Animal Health - Giải pháp toàn diện trong chăm sóc, điều trị và phòng ngừa bệnh cho gia súc, gia cầm và bộ sản phẩm VMC Aqua Care, dòng sản phẩm chuyên biệt dành cho cá nước ngọt. Việc tham dự VIETLAO EXPO 2025 không chỉ là một hoạt động xúc tiến thương mại quan trọng, mà còn là bước đi trong chiến lược mở rộng thị trường và xây dựng hình ảnh thương hiệu VMC trên thị trường quốc tế. Sự kiện tạo điều kiện để doanh nghiệp tiếp cận trực tiếp nhu cầu thị trường, tìm kiếm đối tác phân phối phù hợp, đồng thời nâng cao mức độ hiện diện thương hiệu tại thị trường Lào - điểm đến có nhiều tiềm năng phát triển trong lĩnh vực chăn nuôi và nuôi trồng thủy sản. THANH HIẾU

TRƯỜNG THỦY SẢN, ĐẠI HỌC CẦN THƠ

Tìm giải pháp giảm thiểu khí nhà kính

Sáng 12/7, Trường Thủy sản, Đại học Cần Thơ đã tổ chức thành công Hội thảo khoa học với chủ đề “Khí phát thải nhà kính từ các ao nuôi tôm ở ĐBSCL”. Hội thảo đã thu hút gần 80 đại biểu tham dự, bao gồm đại diện của các Chi cục Thủy sản các tỉnh, các viện, trường, doanh nghiệp thủy sản và các hộ dân nuôi tôm. Nuôi tôm thâm canh mang lại nguồn lợi nhuận cao nhưng đồng thời cũng là mô hình sản xuất ra một lượng lớn khí nhà kính. Tham gia Hội thảo, các đại biểu đã được cung cấp kết quả nghiên cứu ban đầu về khí phát thải nhà kính trong các mô hình nuôi tôm phổ biến hiện nay bao gồm tôm - rừng, tôm - lúa và siêu thâm canh ở ĐBSCL. Bên cạnh đó, các diễn giả đã chia sẻ những thông tin về các giải pháp giảm thiểu khí nhà kính qua việc áp dụng các mô hình kinh tế tuần hoàn, mô hình kết hợp đa loài trong nuôi tôm.

THẢO ANH

SKRETTING VIETNAM

Nhận chứng nhận ASC cho sản phẩm tôm và cá

Sáng 21/7, đại diện Bureau Veritas Việt Nam đã trao chứng nhận ASC Feed (Aquaculture Stewardship Council) cho cả hai dòng sản phẩm tôm và cá của Skretting Vietnam. Đây là lần đầu tiên một doanh nghiệp trong ngành dinh dưỡng thủy sản tại Việt Nam đạt được chứng nhận kép này. Sự kiện này đánh dấu một cột mốc đáng ghi nhớ trong hành trình nâng cao chất lượng, minh bạch chuỗi cung ứng và khẳng định cam kết phát triển bền vững. Skretting Vietnam tin rằng đây không chỉ là sự ghi nhận cho những nỗ lực đã qua, mà còn là động lực để tiếp tục tiên phong, mang đến những giải pháp dinh dưỡng thủy sản có trách nhiệm - vì một ngành thủy sản Việt Nam phát triển vững mạnh và hội nhập quốc tế. Skretting là Tập đoàn hàng đầu thế giới trong việc cung cấp các giải pháp dinh dưỡng sáng tạo và bền vững cho ngành nuôi trồng thủy sản. Tập đoàn có trụ sở chính đặt tại Stavanger, Nauy. NAM CƯỜNG

Chuyện những lão nông nuôi tôm tại An Giang

Những năm gần đây, tỉnh An Giang chú trọng đến phát triển nuôi trồng thủy sản, khi diện tích và sản lượng tăng liên tục qua các năm; đặc biệt là mô hình nuôi tôm công nghệ cao. Giai đoạn 2020 - 2025, diện tích và sản lượng nuôi tôm công nghiệp và bán công nghiệp tăng cao cả về năng suất và sản lượng. Gắn liền với đó là những câu chuyện thành công của những tỷ phú nuôi tôm nơi đây.

Tỷ phú Ba Ớt

Ba Ớt là tên thường gọi của ông Thùy Văn Ớt, xã Ðông Hưng A, huyện An Minh, tỉnh Kiên Giang (nay là xã An Minh, tỉnh An Giang). Ông được biết đến là một trong những người tiên phong ở địa phương áp dụng quy trình nuôi tôm công nghệ cao, lợi nhuận thu về mỗi năm hàng tỷ đồng.

Là thành viên của Hợp tác xã Nuôi trồng thủy sản Tân Huy với tổng diện tích sản xuất 13 ha, ông Ba Ớt dành 15.000 m2 cho nuôi tôm công nghệ cao 2 giai đoạn với 1 ao vèo, 3 ao lắng và 3 ao nuôi, phần diện tích còn lại ông nuôi tôm quảng canh.

Theo kinh nghiệm của ông Ba Ớt, nuôi tôm là “nuôi nước”, phải gây màu nước trước 1 tuần mới thả giống vèo, chờ tôm lớn khoảng 1 tháng mới thả ra ao nuôi với mật

độ 400 con/m2, sau đó tiếp tục chuyển qua bể nuôi với mật độ 250 con/m2.

Ông Ba Ớt chia sẻ, trong khi hầu hết nông dân trong vùng mới thả lứa tôm đầu

tiên của năm 2025 thì ông đã thu hoạch hơn 2,6 tấn TTCT, thu về gần 500 triệu đồng.

Những con tôm được nuôi theo quy trình công nghệ cao 2 giai đoạn trong ao nổi sau

2,5 tháng nuôi đạt cỡ 30 con/kg, cỡ tôm mà ít có nông dân nào dám mạo hiểm nuôi vì độ rủi ro cao. Theo ông, tôm nuôi đạt cỡ này bán mới được giá cao. Hiện tôm 30 con/ kg bán với giá 186.000 đồng/kg, trong khi cùng kỳ năm trước chỉ 160.000 đồng, có thời điểm giảm còn 95.000 đồng. Ðam mê con tôm cùng sự đầu tư bài bản, áp dụng khoa học - kỹ thuật vào sản xuất, 5 năm trở lại đây, trại nuôi tôm công nghệ cao của ông Ba Ớt đạt sản lượng từ 40 - 50 tấn tôm thương phẩm/năm, doanh thu gần 4 tỷ đồng, trừ hết chi phí ông lợi nhuận hơn 2 tỷ đồng.

Kỳ tích nuôi tôm

Còn ở phường Mỹ Đức, TP Hà Tiên, tỉnh Kiên Giang (nay là phường Hà Tiên, tỉnh An Giang), ông Lưu Minh Châu, cũng đang làm nên kỳ tích giữa mùa nắng nóng. Nuôi công nghệ cao được khoảng 7 năm, ông Châu hiện sở hữu 16 ao nuôi diện tích từ 1.400 - 2.000 m², tất cả đều được lót bạt, lắp hệ thống xi phông đáy và đặc biệt là hệ thống sục Chlorine tự động, bí quyết vàng giúp xử lý nước sạch, ngăn mầm bệnh, giữ môi trường nuôi ổn định. Với tổng diện tích 12 ha chia

làm 3 khu, ông Châu có thể kiểm soát kỹ từng đợt nuôi, hạn chế tối đa dịch bệnh lây lan. Trung bình mỗi năm ông Châu nuôi 3 vụ, mỗi ao có thể cho ra khoảng 6 tấn tôm. Từ đầu năm 2025 đến nay, tôm cỡ 30 con/kg có lúc lên tới gần 200.000 đồng/kg, cao hơn nhiều so cùng kỳ năm trước. Nhờ nuôi bài bản, kiểm soát kỹ thuật tốt, ông luôn có đầu ra ổn định. Theo ông Châu, khi thu hoạch, tôm loại nhỏ được xuất bán qua Campuchia, tôm loại lớn vận chuyển ra Bắc, một phần tiêu thụ trong nước theo kiểu “tỉa thưa”, giúp tôm trong ao lớn nhanh, thu hoạch rải vụ hiệu quả. Hiện nay, loại hình nuôi tôm thâm canh - bán thâm canh, ứng dụng công nghệ cao, lót bạt đáy, nuôi theo quy trình 2 - 3 giai đoạn, công nghệ biofloc, ít thay nước, nuôi tuần hoàn khép kín,… đã trở nên phổ biến trên vùng đất An Giang. Theo chia sẻ của người dân, nuôi tôm áp dụng công nghệ Semi-biofloc, biofloc tăng năng suất từ 10 - 12 tấn/ha lên 30 - 50 tấn/ha; nuôi theo quy trình 2 - 3 giai đoạn, kiểm soát tốt môi trường nuôi, giảm rủi ro dịch bệnh và nâng cao hiệu quả kinh tế,… VÂN ANH

Nuôi tôm nước mặn tuần hoàn trong thành phố

Mô hình nuôi tôm không cần biển, không phát thải, và không phụ thuộc nhập khẩu của công ty

Agriloops tại Pháp là hệ thống thủy canh nước mặn đầu tiên tại châu Âu, mở ra hướng đi bền vững cho ngành nông nghiệp và thủy sản hiện đại.

Doanh nghiệp Agriloops (Pháp) vừa vận hành Mangrove #1 - trang trại nuôi tôm kết hợp trồng rau theo mô hình thủy canh aquaponics nước mặn đầu tiên tại Pháp ở quy mô thương mại nhằm cung cấp nguồn thực phẩm sạch, bền vững và giảm phụ thuộc vào nhập khẩu tôm đông lạnh.

Ý tưởng Mangrove #1 do hai nhà sáng lập

Jérémie Cognard - chuyên gia trồng trọt và Romain Vandame - giám đốc công nghệ nuôi trồng thủy sản phát triển từ năm 2016.

Không cần biển

Mangrove #1 là trang trại tích hợp nuôi

trồng thủy sản - thủy canh quy mô lớn, gồm

2.000 m² nuôi tôm và 5.000 m² nhà kính.

Tôm giống được cách ly kiểm dịch 10 ngày, sau đó ương một tháng trước khi chuyển sang giai đoạn nuôi tăng trưởng trong hệ thống tuần hoàn nước sạch (RAS). Nhờ

công nghệ lọc cơ học, tia UV và sinh học, hệ

thống giúp giảm tối đa lượng nước ngọt sử dụng và cho phép trang trại hoạt động hiệu quả dù cách biển hơn 100 km.

Đặc biệt, một phần nước từ hệ thống RAS được đưa sang tưới rau mà không cần khử mặn. Độ mặn nhẹ giúp cà chua tăng lượng

Vitamin C và đường, đồng thời loại bỏ nhu cầu phân bón hóa học nhờ chất dinh dưỡng tự nhiên từ nước nuôi tôm.

Tự động hóa được tích hợp toàn diện: khu nuôi có cảm biến, hệ thống cho ăn và phần mềm giám sát; khu nhà kính điều khiển khí hậu bằng máy tính. Để giữ nhiệt cho tôm, trang trại sử dụng nhiên liệu sinh khối từ gỗ địa phương trong bán kính 50 km - vừa trung hòa carbon, vừa phục hồi cảnh quan bocage đặc trưng vùng Brittany. Ngoài ra, nước mưa được thu gom và điện mặt trời cung cấp cho khu văn phòng, giúp Mangrove #1 trở thành hình mẫu nông nghiệp tuần hoàn, bền vững.

Tối ưu hóa dòng chảy

Khởi nguồn từ một phòng thí nghiệm nhỏ tại Paris, Agriloops đã nhanh chóng bứt phá, chuyển về Rennes và nhận được sự hậu thuẫn từ trường đại học nông nghiệp danh tiếng và cộng đồng khởi nghiệp sôi động của French Tech. Khi mở rộng quy mô, doanh nghiệp đã xây dựng trang trại thử nghiệm Mangrove #1 tại Bréal-Sous-Montfort, cách Rennes khoảng 20 km. Dự án kết hợp giữa công nghệ tiên tiến và kinh nghiệm thực tiễn này đã thu hút 13 triệu euro từ các quỹ đầu tư, tài trợ và gọi vốn cộng đồng vào đầu năm 2024.

Từ những thử nghiệm trong phòng lab đến hàng chục vụ nuôi thành công, đội ngũ

Agriloops đã chứng minh năng lực kiểm soát chặt chẽ cả mô hình sinh học lẫn hiệu quả kinh tế. Dự kiến cuối năm 2025, Mangrove #1 sẽ cho ra mắt lứa tôm thương mại đầu tiên, hướng đến sản lượng hằng năm 50 tấn tôm và 70 tấn rau.

Agriloops cũng tự chủ toàn bộ quy trình chế biến và bảo quản lạnh ngay tại trang trại, giúp giữ trọn độ tươi và giảm thiểu phát thải vận chuyển. Thương hiệu rau Yodée đã có mặt trên thị trường, trong khi dòng tôm thương hiệu riêng cũng đang chuẩn bị ra

Ảnh: Thefishsite

mắt. Dù phải cạnh tranh với nguồn tôm giá rẻ nhập khẩu, Agriloops tin vào sức hấp dẫn của phân khúc cao cấp như tôm hữu cơ hay tôm đạt chứng nhận Label Rouge. “Nếu chất lượng thực sự vượt trội, người tiêu dùng sẵn sàng chi trả cho sản phẩm cao cấp của Pháp”, đại diện công ty khẳng định.

Triển vọng

Dù đang vận hành ổn định, Agriloops không dừng lại ở một dự án duy nhất. “Chúng tôi đặt tên trang trại đầu tiên là Mangrove #1 vì đây chỉ là bước khởi đầu - mục tiêu là sẽ có thêm nhiều Mangrove khác. Thách thức lớn nhất hiện nay là chứng minh công nghệ có thể vận hành hiệu quả ở quy mô công nghiệp, từ sản xuất đến tiêu thụ. Khi vượt qua được điều đó, chúng tôi sẽ mở rộng mô hình cùng các đối tác”, ông Cognard cho biết. Một điểm mạnh đáng kể của hệ thống này là không phụ thuộc vào vị trí gần biển mà chỉ cần nguồn nhiệt phù hợp. Nhờ vậy, Mangrove có thể triển khai linh hoạt tại nhiều vùng trên khắp nước Pháp và châu Âu.

DŨNG NGUYÊN (Theo Thefishsite)

Mô hình giúp cung cấp nguồn thực phẩm sạch, bền vững

Cải thiện đường ruột cho tôm nuôi

Để cải thiện đường ruột cho tôm nuôi, cần chú ý đến chế độ ăn, bổ sung men vi sinh, enzyme tiêu hóa, đồng thời tập trung vào việc quản lý môi trường ao nuôi. Sử dụng thức

Điều chỉnh thức ăn

Để đường ruột tôm khỏe mạnh, người nuôi cần sử dụng thức ăn có chất lượng.

Chọn mua thức ăn tại các cơ sở uy tín, có nguồn gốc xuất xứ rõ ràng, tránh mua thức ăn trôi nổi trên thị trường.

Kích cỡ thức ăn cần phù hợp với kích cỡ miệng và hệ tiêu hóa của tôm ở từng giai đoạn phát triển.

Thức ăn có hình dạng đồng đều, cần có độ kết dính tốt, không quá cứng, không có nhiều bụi để tôm dễ tiêu hóa và tránh gây ô nhiễm môi trường. Thức ăn có màu vàng nâu đến nâu sẫm, tươi mới, phải khô ráo, không bị mốc hoặc có mùi lạ. Mùi vị hấp dẫn, kích thích tôm ăn nhiều. Bảo quản thức ăn nơi khô ráo thoáng mát, tránh xa ánh sáng mặt trời.

Thành phần thức ăn cần đảm bảo đầy đủ các chất dinh dưỡng cần thiết cho tôm, bao gồm protein, lipid, carbohydrate, vitamin và khoáng chất.

Tránh cho tôm ăn quá nhiều hoặc quá ít thức ăn, chỉ nên cho ăn khoảng 70 - 80% so với nhu cầu thực tế để tránh dư thừa thức ăn. Chia nhỏ bữa ăn để tôm tiêu hóa tốt hơn. Cung cấp các nguồn thức ăn tự nhiên như tảo, plankton hoặc các loài động vật nhỏ có thể giúp tăng cường sự đa dạng dinh dưỡng và khả năng miễn dịch của tôm.

Thường xuyên kiểm tra lượng thức ăn thừa trong ao để điều chỉnh lượng thức ăn cho phù hợp.

Bổ sung Vitamin C tăng cường sức đề kháng cho tôm, kích thích đường ruột giúp tôm tiêu hóa tốt, tăng trưởng nhanh.

Kiểm soát tốt môi trường

ao nuôi

Đảm bảo các yếu tố môi trường như nhiệt độ, hàm lượng ôxy hòa tan (DO), độ mặn, độ trong, pH, độ kiềm, NH3, H2S nằm trong khoảng tối ưu cho tôm phát triển. Thường xuyên kiểm tra và điều chỉnh các yếu tố này.

Duy trì mực nước tối thiểu theo khuyến cáo, đặc biệt khi có mưa lớn hoặc nắng gắt để tránh phân tầng nước. Hạn chế bùn đáy ao nuôi bằng cách xi phông và thay nước thường xuyên (thay khoảng 30%, không thay nước quá nhiều vì dễ gây stress cho tôm).

Theo dõi và kiểm soát mật độ tảo trong ao, tránh tảo phát triển quá mức hoặc bị sập đột ngột. Diệt các loài tảo độc để tôm không

bị ngộ độc, bị phân trắng. Sau khi diệt tảo có thể dùng vi sinh xử lý đáy để làm sạch đáy và nước ao nuôi.

Sử dụng vôi, Zeolite, Yucca để ổn định môi trường.

Xử lý nước ao nuôi bằng các chế phẩm sinh học để loại bỏ chất thải và mầm bệnh.

Sử dụng chất bổ sung

Probiotic (men vi sinh): Men vi sinh chứa các vi sinh vật có lợi, giúp cân bằng hệ vi sinh vật đường ruột, cạnh tranh và ức chế các vi khuẩn có hại, từ đó giúp tôm tiêu hóa tốt hơn và hấp thụ dinh dưỡng hiệu quả hơn.

Người nuôi có thể sử dụng men vi sinh chứa các chủng vi khuẩn có lợi như Bacillus, Lactobacillus, và Saccharomyces. Có thể trộn men vi sinh vào thức ăn hoặc sử dụng trực tiếp trong ao nuôi. Để đạt hiệu quả tốt nhất, nên sử dụng men vi sinh liên tục trong suốt quá trình nuôi. Chọn loại men vi sinh có uy tín, nguồn gốc rõ ràng, và phù hợp với loại tôm nuôi. Đọc kỹ hướng dẫn sử dụng của nhà sản xuất để dùng đúng liều lượng và cách thức.

Enzyme: Có khả năng phân giải các thành phần thức ăn phức tạp thành các chất đơn giản mà tôm có thể hấp thụ dễ dàng. Sử dụng enzyme trong thức ăn giúp cải thiện tiêu hóa và hấp thu dinh dưỡng

 SÁCH KỸ THUẬT

Kỹ thuật nuôi tôm hùm (Tái bản 2025)

ở tôm, từ đó giúp tôm tăng trưởng tốt và giảm thiểu các bệnh đường ruột. Bổ sung enzyme giúp ức chế sự phát triển của vi khuẩn có hại, tạo điều kiện cho vi khuẩn có lợi phát triển, từ đó tăng cường hệ miễn dịch cho tôm. Người nuôi cần theo dõi sức khỏe và khả năng tiêu hóa của tôm để điều chỉnh liều lượng và phương pháp sử dụng enzyme phù hợp.

Prebiotic: Là các chất xơ hòa tan mà hệ vi sinh vật có lợi trong đường ruột tôm có thể sử dụng làm thức ăn, từ đó hỗ trợ sự phát triển của chúng. Sử dụng prebiotic có thể cải thiện đáng kể sức khỏe đường ruột của tôm, giúp tôm tiêu hóa tốt hơn và tăng cường sức đề kháng. Prebiotic thường được trộn trực tiếp vào thức ăn tôm. Prebiotic có thể được sử dụng kết hợp với men vi sinh để đạt hiệu quả tối ưu

Tôm hùm là một đối tượng có giá trị kinh tế cao ở Việt Nam. Tôm hùm được ưa chuộng trong nước và trên nhiều thị trường quốc tế. Ở nước ta, nghề nuôi tôm hùm ngày càng phổ biến, đóng góp tích cực vào sự phát triển kinh tế của nhiều địa phương, đặc biệt là các tỉnh duyên hải Nam Trung Bộ. Tuy nhiên, với quy trình kỹ thuật đòi hỏi nghiêm ngặt, từ khâu chọn giống, chăm sóc, quản lý nguồn nước đến phòng trị bệnh, việc nuôi tôm hùm thành công phụ thuộc rất lớn vào kiến thức và sự cẩn trọng. Cuốn sách “Kỹ thuật nuôi tôm hùm (tái bản 2025)” được biên soạn bởi tác giả Nguyễn Thị Hồng, sẽ cung cấp những kiến thức về chọn giống, kỹ thuật phòng bệnh,… giúp người nuôi giảm thiểu rủi ro và tối ưu hóa năng suất. Cuốn sách là tài liệu thực hành không thể thiếu dành cho bất kỳ ai đang muốn khởi nghiệp với mô hình nuôi tôm hùm - loài thủy sản có giá trị kinh tế cao bậc nhất hiện nay.

Sách do Nhà xuất bản Thanh Hóa phát hành!

THANH HIẾU

trong việc cải thiện hệ vi sinh vật

đường ruột của tôm. Cần tuân thủ hướng dẫn sử dụng của nhà sản xuất để đảm bảo hiệu quả và tránh các tác dụng phụ không mong muốn.

Axit hữu cơ: Axit hữu cơ có thể cải thiện sức khỏe đường ruột của tôm bằng cách ổn định pH đường ruột, ức chế vi khuẩn có hại, và tăng cường khả năng hấp thụ dinh dưỡng. Việc này giúp tôm tiêu hóa tốt hơn, tăng trưởng nhanh hơn và giảm nguy cơ mắc bệnh. Tuy nhiên, việc bổ sung axit hữu cơ cho tôm cần đúng thời điểm và đúng cách để đạt hiệu quả tối ưu. Đặc biệt, khi tôm bị rối loạn tiêu hóa, biểu hiện thường thấy là phân lỏng, phân đứt khúc hoặc tôm chậm lớn. Bổ sung axit hữu cơ vào thức ăn giúp cân bằng hệ vi sinh đường ruột, ức chế vi khuẩn có hại và kích thích vi khuẩn có lợi phát triển. Người nuôi có thể bổ sung axit hữu cơ bằng cách trộn vào thức ăn hoặc tạt trực tiếp xuống ao. Mỗi ao nuôi có điều kiện khác nhau, vì vậy cần theo dõi phản ứng của tôm sau khi bổ sung axit hữu cơ và điều chỉnh liều lượng phù hợp. Nếu thấy tôm có dấu hiệu stress hoặc giảm ăn, cần giảm liều và kiểm tra lại môi trường nước.

NAM CƯỜNG

Krill Nam Cực

Có tên khoa học là Euphausia superb, một loài giáp xác nhỏ, sống

ở vùng biển quanh châu Nam Cực. Điểm đặc biệt ở loài này là chúng thường chỉ sống ở vùng biển nông. Thế nhưng, ở Nam Cực, loài giáp xác giống tôm này lại sống ở độ sâu 3.000 m. Chúng có vai trò quan trọng trong hệ sinh thái Nam Cực, là thức ăn cho nhiều loài động vật lớn như cá voi, hải cẩu, chim cánh cụt, và cả con người. Krill Nam Cực là một loại tôm nhỏ với lớp vỏ màu đỏ nhạt, gần như trong suốt. Chiều dài của chúng khi trưởng thành đạt khoảng 6 cm và tuổi thọ khoảng 5 đến 6 năm. Loài nhuyễn thể Nam Cực này sử dụng hệ thống lọc chuyên biệt ở các chân phía trước để tóm lấy các loại siêu vi tảo và dùng chúng làm thức ăn. Nhờ có loại thức ăn này, Krill rất giàu axit omega-3 và phospholipid. Chúng sống tập trung theo đàn với số lượng cá thể vô cùng lớn. Mật độ của chúng trải dài tới hàng km. LÊ LOAN

 BÁCH KHOA THƯ

HỎI - ĐÁP

 Hỏi: Hiện tượng “tảo nở hoa” là như thế nào? Xin tư vấn

dấu hiệu nhận biết và biện pháp kiểm soát hiệu quả?

(Nguyễn Văn Cường, xã An Châu, tỉnh Nghệ An)

Trả lời:

Hiện tượng “tảo nở hoa” là hiện tượng tự nhiên xuất hiện khi

mật độ tế bào vi tảo gia tăng lên đến hàng triệu tế bào/L, cụ thể hơn khi có khoảng 10 - 100 tế bào vi tảo/mL. Khi mật độ này lên tới

100.000 thì sẽ xảy ra hiện tượng này.

Người nuôi có thể nhận biết qua các dấu hiệu trực quan như nước ao đột ngột chuyển màu đậm, nổi váng dày và có mùi tanh nồng. Đây là một tín hiệu cảnh báo môi trường ao nuôi đang mất cân bằng nghiêm trọng.

Để xử lý hiện tượng này, người nuôi có thể tham khảo các phương pháp sau:

Phương pháp thủ công: Người nuôi vớt tảo từ ao hồ, vệ sinh thường xuyên hoặc thay nước mới. Ưu điểm của phương pháp này là tiết kiệm chi phí, dễ thực hiện. Tuy nhiên, phương pháp này lại tốn nhiều thời gian, nhân lực và khó đáp ứng nếu diện tích lớn.

Sử dụng các biện pháp hóa học: Có thể sử dụng các loại hóa chất khử tảo an toàn và hiệu quả để kiểm soát lượng tảo trong ao nuôi. Tuy nhiên, với phương pháp này cần phải tuân thủ liều lượng và hướng dẫn sử dụng của nhà sản xuất.

Sử dụng vi sinh: Có thể thay thế xử lý nước bằng vi sinh trong ao nuôi để giảm mật độ tảo trước khi cấp nước cho ao nuôi. Việc sử dụng vi sinh định kỳ trong ao nuôi để duy trì chất lượng nước và không xảy ra tình trạng tảo phát triển quá mức là một lựa chọn hiệu quả.

 Hỏi: Xin tư vấn các biện pháp ổn định môi trường ao nuôi tôm sau bão?

(Ngô Quang Anh, xã Quảng Trạch, tỉnh Quảng Trị)

Trả lời:

Sau mỗi đợt mưa lớn hay bão lũ sẽ ảnh hưởng đến toàn bộ hệ thống ao nuôi. Vì vậy, người nuôi cần kiểm tra bờ ao, cống cấp thoát nước xem có hư hỏng, sạt lở làm thất thoát tôm hay không và có biện pháp khắc phục ngay. Cùng đó, môi trường ao nuôi sẽ có khả năng bị ô nhiễm cao do cành, lá cây, xác chết gia súc, gia cầm, nước bẩn ở các khu vực xung quanh đổ xuống ao, cần thu dọn và vớt kịp thời.

Tiếp theo, cần quan tâm đến mực nước ao, không nên để quá sâu hoặc quá cạn và điều chỉnh tùy thuộc vào từng giai đoạn nuôi. Đối với tôm thương phẩm, mực nước tối ưu để hạn chế sự ảnh hưởng của thời tiết khoảng 1,2 - 1,5 m. Sau mưa, lượng nước trong ao thường lên cao, vì vậy, cần xả bớt lượng nước tầng mặt trong ao để duy trì mực nước thích hợp và tránh gây ra hiện tượng phân tầng nước. Tiến hành kiểm tra chất lượng nước trong ao nuôi để có các biện pháp điều chỉnh phù hợp như bón vôi (1 - 3 kg/100 m2) để ổn định môi trường, điều chỉnh màu nước hoặc có thể thay nước khi cần thiết.

Kiểm tra pH nhiều lần trong ngày để điều chỉnh kịp thời; duy trì pH ở mức thích hợp, trong khoảng 7,5 - 8,5 và dao động giữa sáng - chiều không quá 0,5 đơn vị. Ngoài ra, độ kiềm là yếu tố quan trọng ảnh hưởng đến quá trình lột xác của tôm, làm tôm chậm lớn và bị mềm vỏ, giảm tỷ lệ sống. Vì vậy, cần kiểm tra và điều chỉnh độ kiềm về khoảng thích hợp cho tôm sú từ 80 - 140 mg/L và 120 - 150 mg/L đối với TTCT.

Sau khi mưa lớn, nước trong ao thường bị đục do bùn, đất, hạt sét,… lơ lửng cùng với đó là sự hoạt động của các sinh vật bên trong ao nuôi. Để xử lý, cần dùng 15 kg thạch cao/500 m3 nước, nếu sau 2 lần đánh mà nước vẫn chưa trong thì nên tăng nồng độ ở lần thứ 3. Chú ý, trước khi sử dụng thạch cao phải nâng độ kiềm của ao lên 100 ppm.

 Hỏi: Tôm càng xanh có dấu hiệu đục trên cơ ở đuôi, tôm không lột xác, bỏ ăn, giảm vận động, phần cơ bị đục lan ra toàn thân và hoại tử. Hỏi nguyên nhân và biện pháp điều trị?

(Phan Thanh Hải, xã Trà Ôn, tỉnh Vĩnh Long)

Trả lời:

Theo mô tả, có thể tôm càng xanh đã bị bệnh đục cơ. Bệnh do vi khuẩn gây ra thường có liên quan với các yếu tố gây sốc về môi trường như sự thay đổi đột ngột về nhiệt độ và pH. Điều kiện môi trường xấu cũng là nguyên nhân gây bệnh đục cơ (Yang et al., 2003). Tuy nhiên, Macrobrachium Nodavirus (MrNV) và Extra Small Virus (XSV) là hai virus được xác định là tác nhân gây bệnh đục cơ trên tôm càng xanh ở Ấn Độ (Hameed et al., 2004) và ở Việt Nam (Đặng Thị Hoàng Oanh et al., 2009). Bệnh đục cơ do virus thường gây tôm chết cấp tính. Tôm bệnh có thể nhiễm một trong hai virus này hoặc có thể nhiễm cùng lúc hai virus.

Đến thời điểm hiện tại, bệnh này vẫn chưa có thuốc đặc trị mà mới chỉ có các biện pháp ngăn ngừa bệnh bùng phát và lây lan diện rộng. Vì thế, người nuôi cần phải thực hiện phòng bệnh ngay từ ban đầu theo các bước sau:

Chọn tôm bố mẹ khỏe mạnh, linh hoạt, không nhiễm bệnh, màu sắc sáng.

Chọn tôm giống thả nuôi có kích cỡ đồng đều, cơ không bị đục, màu sắc sáng, bơi lội linh hoạt,…

Quản lý môi trường nước ổn định, bón vôi (CaCO3) để tăng pH cho tôm.

Bổ sung thêm Vitamin C, khoáng chất thiết yếu hay những chất kích thích giúp tôm ăn khỏe, tăng trưởng nhanh. Sử dụng các loại chế phẩm vi sinh tự nhiên để bổ sung lợi khuẩn ức chế vi khuẩn gậy hại phát triển.

Thường xuyên vệ sinh, khử trùng trại và các loại dụng cụ sản xuất, xử lý nước cấp và nước thải, đồng thời thực hành quản lý tốt ở trại giống và ao nuôi để góp phần giảm thiểu sự lây lan mầm bệnh. Sử dụng các loại chế phẩm vi sinh xử lý môi trường ao nuôi để tăng chất lượng nước.

Turn static files into dynamic content formats.

Create a flipbook
Issuu converts static files into: digital portfolios, online yearbooks, online catalogs, digital photo albums and more. Sign up and create your flipbook.
Con tôm tháng 8/2025 by Thủy sản Việt Nam Website - Issuu