
DEVELOPMENT OF A NEW CLASS OF PARAMAGNETIC 6-OXOVERDAZYL CARBOHYDRATES FOR USE AS MAGNETIC RESONANCE IMAGING CONTRAST AGENTS
Sam Minor,1 Christine O'Brien,1 Tanner Whitson,1 David Soulsby,1 David Brook2 1. Chemistry Department, University of Redlands, Redlands, CA, 92374 | 2. Chemistry Department, San Jose State University, San Jose, CA 95192
MRI Contrast Agents
MRI contrast agents are commonly used in bio-imaging to enhance images by shortening the relaxation time of protons in neighboring water molecules Contrast-enhanced MRIs are powerful tools that highlight tissue anomalies resulting in better diagnostic outcomes While gadolinium-based contrast agents (GBCAs) are the predominate form of MRI contrast agent, with a $1 6 billion market share, alternatives include iron oxide nanoparticles1 and manganese-based contrast agents 2

Pyran and Furan-Based Contrast Agents
Based on the positive results of Calvert et al , we embarked on the development of a new class of carbohydrate-based oxoverdazyl MRI contrast agents that retain their pyran(py)/furan(fu) forms since these are necessary for intracellular transport Starting with methyl-α-D-glucopyranoside as a model substrate we combined a novel regioselective oxidative deprotection of TMS-protected carbohydrates6 with the work of Le et al to generate the pyran TMS-protected tetrazane intermediate

Though generally regarded as safe by the FDA, patients with kidney disease or injury must be screened before GBCA usage, since these patients are prone to developing nephrogenic systemic fibrosis 3 Hypersensitivity and bioaccumulation have also been reported with GBCAs 4 Non-heavy-metal based alternatives to GBCAs with fewer toxicity issues are desirable
6-Oxoverdazyl Radicals
In 2016, Le et al. developed a synthesis of a new class of aldose-derived, open-chain (oc), shelfstable, metal-free, chiral, water-soluble 6oxoverdazyl paramagnetic agents 5 This included the glucose-derived oxoverdazyl radical Unlike the nitroxide family of stabilized radicals, this new class of stabilized radicals are insensitive to reasonable pH ranges and mild reductants such as ascorbic acid and oxidants such as hydrogen peroxide
✓ Metal-Free ✓ Shelf-Stable
✓ Water-Soluble
✓ No Reaction with Ascorbic Acid or H2O2
MRI Studies: oc-glucoverdazyl



In 2024, Calvert et al demonstrated that oc-glucoverdazyl was a viable MRI contrast agent with appropriate biological properties that included stability in mouse serum, negligible binding to human serum albumin, was cytocompatible with human renal proximal tubule cells, and was not absorbed by glucose-starved HepG2 cells.6 Using DCE-MRI with ocglucoverdazyl, they were able to measure unilateral ureteral obstruction in a series mouse models, though oc-glucoverdazyl had a short half-life with MRI images being collected 2.5 min post injection.

✓ Biologically Stable
Deprotection with an acidic resin followed by oxidation with K3[Fe(CN)6] gave the pyranose methyl glycoside oxoverdazyl (py-me-glucoverdazyl) in good yield

A New Class of 6-Oxoverdazyl Carbohydrates
Provisional Patent Application: 63/700,901: CONTRAST AGENTS FOR ENHANCED MAGNETIC RESONANCE IMAGING
A collaboration with the imaging facility at Fred Hutch Cancer Center has demonstrated that py-me-glucoverdazyl is an effective T1w contrast agent



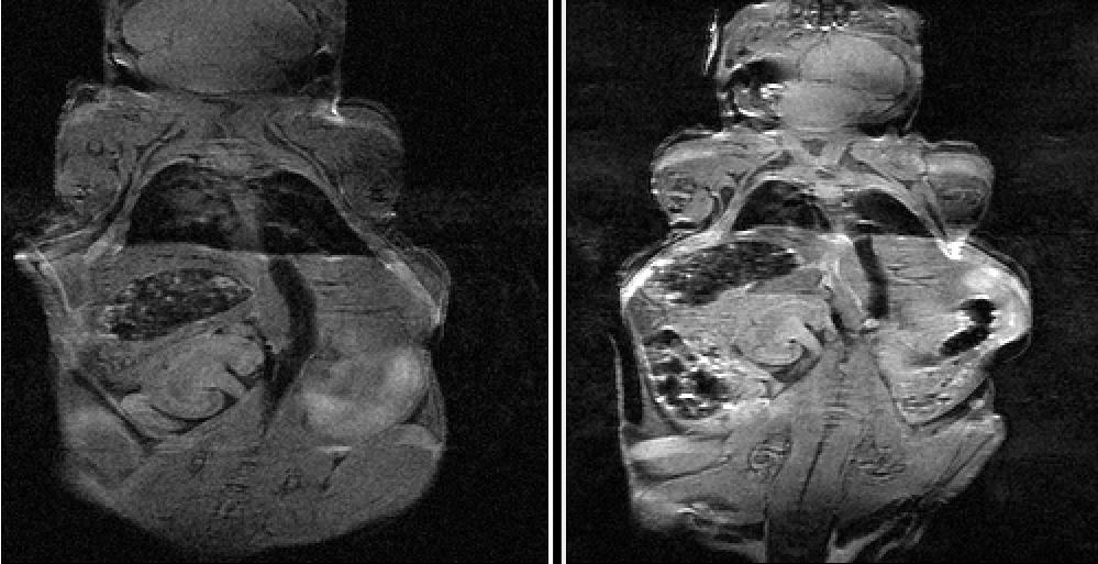
Preliminary in vivo MRI Studies



Contrast enhancement was observed in the left kidney (with longer retention than the ocglucoverdazyl) and the bladder We also have data that indicates that our compound is absorbed by the pancreas While we observed no noticeable ill-effects on the mouse, we will be examining the vital organs using the Fred Hutch pathology facilities
A Flexible Molecular Scaffold
With our new class of contrast agents, we will begin exploring whether the pyranose and furanose forms of our 6oxoverdazyl radicals are recognized by the SGLT and GLUT proteins (Type I, II, and III), allowing for intracellular transport and possible early detection of high-metabolism activity cells
We have synthesized a new class of carbohydrate-based 6-oxoverdazyl radicals that retain their pyranose and furanose forms These metal-free, biologically stable paramagnetic contrast agents could provide a safer alternative to GBCAs and, because this class of molecules have the potential for intracellular transport using the SGLT and GLUT membrane proteins, they could provide a new approach for detecting high-metabolism activity cells (e g , tumors)
The authors gratefully acknowledge our colleagues Elena Carlson, Brianna Wrightson, and Robert Espinoza (Fred Hutch Cancer Center), Dr Samuel Barnes (LLU) and Naomi St Maria (USC) for providing expertise and valuable guidance in this project The work at Fred Hutch was supported by the Preclinical Imaging Shared Resource of the Fred Hutch/University of Washington Cancer Consortium (P30 CA015704) and (3T/7T MRI SIG NIH S10OD26919). We acknowledge the generous funding provided by Chuck O’Neill, the John Stauffer Foundation, the Hedco Foundation, and the University of Redlands which made this project possible
1. Wei, H.; Bruns, O T.; Kaul, M G.; Hansen, E C.; Barch, M.; Wiśniowska, A.; Chen, O Chen, Y.; Li, N.; Okada, S.; Cordero, J M.; Heine, M.; Farrar, C T.; Montana, D M.; Adam, G.; Ittrich, H.; Jasanoff A.; Nielsen, P.; Bawendi, M G Exceedingly small iron oxide nanoparticles as positive MRI contrast agents, Proc Natl Acad Sci 2017 114 (9), 2325-2330 and Pan D, Schmieder AH, Wickline SA, Lanza GM Manganese-based MRI contrast agents past, present and future Tetrahedron 2011 67 44), 8431-8444
2. Schlaudecker, J D.; Berhnheisel, C R Gadolinium-Associated Nephrogenic Systemic Fibrosis, American Family Physician, 2009 711714
3. Fok J S.; Smith W B Hypersensitivity reactions to gadolinium-based contrast agents Curr Opin Allergy Clin Immunol 2017 17 4) 241-246 and Bandino, J P Gathings, R M , Hinen, H B Hampton, M T , Davis,