
























































![]()










































































































Studieboek en naslagwerk voor Gezondheidszorg en Sport




























































































Ludo Grégoire






Rogier Trompert














Agnes van Straaten - Huygen









































LudoGrégoire
AgnesvanStraaten-Huygen
RogierTrompert
Auteurs
LudoGrégoire,Leiden
AgnesvanStraaten-Huygen,Bergen
Illustraties
RogierTrompert,Maastricht
Redactie
SingelingTekstproducties
Foto’sbinnenwerk
Zieverantwoordingoppagina579
Omslagfoto
RekstokturnerEpkeZonderland
APPhoto/GregoryBull/HollandseHoogte
Omslagontwerp
RogierTrompertMedicalArt,Maastricht
Vormgeving
StudioImago,Amersfoort
Metdankaan:
EllendeVisser/DeVolkskrant,Amsterdam voordetoestemmingtothetgebruik vandetekstenvandeGezondheidsrubriek.
EvertBarendrecht,Alkmaar voorcontroleencorrectiesbijdevijfdedruk.
OverThiemeMeulenhoff
Over ThiemeMeulenhoff
ThiemeMeulenhoff is een educatieve uitgeverij die zich inzet voor het voortgezet onderwijs en beroepsonderwijs. De mensen van ThiemeMeulenhoff zijn er voor onderwijsprofessionals – met ervaring, expertise en doeltreffende leermiddelen. Ontwikkeld in doorlopende samenwerking met de mensen in het onderwijs om samen het onderwijs nog beter te maken.
ThiemeMeulenhoffontwikkeltzichvaneducatieveuitgeverijtoteenlearningdesign company.Webrengencontent,leerontwerpentechnologiesamen.Metonzegroeiende expertise,ervaringenleeroplossingenzijnweeenpartnervoorscholenbijhetvernieuwenenverbeterenvanonderwijs.Zokunnenwesamenbeterrechtdoenaande verschillentussenlerendenenscholenenervoorzorgendatlerensteedspersoonlijker, effectieverenefficiënterwordt.
We ontwikkelen lesmethodes die goed te combineren zijn met andere leermiddelen, naar eigen inzicht aan te passen en bewezen effectief zijn. En natuurlijk worden al onze lesmethodes zo duurzaam mogelijk geproduceerd.
Samenlerenvernieuwen.
Zo bouwen we samen met de mensen in het onderwijs aan een mooie toekomst voor de volgende generatie.
www.thiememeulenhoff.nl
Samen leren vernieuwen.
ISBN9789006435450
Zesdedruk,eersteoplage,2025.
www.thiememeulenhoff.nl
ISBN 978 90 06 99286 1
©ThiemeMeulenhoff,Amersfoort,eerstedruk:1990.
Editie 1, druk 6, oplage 1, 2025
© ThiemeMeulenhoff, Amersfoort, 1990
Allerechtenvoorbehouden.Nietsuitdezeuitgavemagwordenverveelvoudigd,opgeslagenineengeautomatiseerdgegevensbestand,ofopenbaargemaakt,inenigevorm ofopenigewijze,hetzijelektronisch,mechanisch,doorfotokopieën,opnamen,ofenig anderemanier,zondervoorafgaandeschriftelijketoestemmingvandeuitgever.
Alle rechten voorbehouden. Tekst- en datamining, AI-training en vergelijkbare technologieën niet toegestaan. Niets uit deze uitgave mag worden verveelvoudigd, opgeslagen in een geautomatiseerd gegevensbestand, of openbaar gemaakt, in enige vorm of op enige wijze, hetzij elektronisch, mechanisch, door fotokopieën, opnamen, of enig andere manier, zonder voorafgaande schriftelijke toestemming van de uitgever.
Voorzoverhetmakenvankopieënuitdezeuitgaveistoegestaanopgrondvanartikel 16BAuteurswet1912j°hetBesluitvan23augustus1985,Stbl.471enartikel17 Auteurswet1912,dientmendedaarvoorwettelijkverschuldigdevergoedingentevoldoenaanStichtingPublicatie-enReproductierechtenOrganisatie(PRO),Postbus3060, 2130KBHoofddorp(www.stichting-pro.nl).Voorhetovernemenvangedeelte(n)uitdeze uitgaveinbloemlezingen,readersenanderecompilatiewerken(artikel16Auteurswet) dientmenzichtotdeuitgevertewenden.Voormeerinformatieoverhetgebruikvan muziek, filmenhetmakenvankopieëninhetonderwijszie www.auteursrechtenonderwijs.nl.
Voor zover het maken van kopieën uit deze uitgave is toegestaan op grond van artikel 16B Auteurswet 1912 j° het Besluit van 23 augustus 1985, Stbl. 471 en artikel 17 Auteurswet 1912, dient men de daarvoor wettelijk verschuldigde vergoedingen te voldoen aan Stichting Publicatie- en Reproductierechten Organisatie (PRO), Postbus 3060, 2130 KB Hoofddorp (www.stichting-pro.nl). Voor het overnemen van gedeelte(n) uit deze uitgave in bloemlezingen, readers en andere compilatiewerken (artikel 16 Auteurswet) dient men zich tot de uitgever te wenden. Voor meer informatie over het gebruik van muziek, film en het maken van kopieën in het onderwijs zie www.auteursrechtenonderwijs.nl.
Deuitgeverheefternaargestreefddeauteursrechtenteregelenvolgensdewettelijke bepalingen.Degenendiedesondanksmenenzekererechtentekunnendoengelden, kunnenzichalsnogtotdeuitgeverwenden.
De uitgever heeft ernaar gestreefd de auteursrechten te regelen volgens de wettelijke bepalingen. Degenen die desondanks menen zekere rechten te kunnen doen gelden, kunnen zich alsnog tot de uitgever wenden.
www.thiememeulenhoff.nl.
Deze uitgave is volledig CO2-neutraal geproduceerd.
ClimatePartner
DezeuitgaveisvolledigCO2-neutraalgeproduceerd.
CO2 measure reduce contribute
HetvoordezeuitgavegebruiktepapierisvoorzienvanhetFSC®-keurmerk.Ditbetekent datdebosbouwopeenverantwoordewijzeheeftplaatsgevonden.
LudoGrégoire

LudoGrégoire(1951)studeerde,nazijn opleidingaandeAcademievoorLichamelijkeOpvoedinginTilburg,functioneleanatomiebijdeFaculteitBewegingswetenschappenvandeVrijeUniversiteitteAmsterdam.Alsbijvakkoos hijonderwijsresearch,gerichtopdedidactiekvande anatomie/fysiologievandemens.Postdoctoraalvoltooidehijdestudiearbeids-enorganisatiepsychologie.In 1998voltooidehijdestudieNederlandsRechtaande UniversiteitUtrecht.
Vanaf1976doceerdehijhetvakanatomie/fysiologieaan verschillendeopleidingenenvanaf1984metnameaan dehbo-vinAlkmaar.Vanaf1986werktehijalsdistrictsdirecteurvandeLandelijkeHuisartsenverenigingen vervolgensvanaf1997alsadjunct-directeurZorgvanhet WaterlandziekenhuisinPurmerend.Van2001toteind 2013washijalgemeendirecteurvanWilgaerden,een organisatievoorouderenzorginWest-Friesland.Eind 2022verscheenvanzijnhandheteducatievevoorleesboek Pépé – Wiebenik? voorkinderenvan6t/m9jaar.
AgnesvanStraaten-Huygen

AgnesvanStraaten-Huygen(1954) studeerdebiologieaandeVrijeUniversiteitteAmsterdam.
Bijnavijfentwintigjaarwerktzijfulltime alseducatiefauteurenredacteurophet gebiedvanmensennatuur.Zijisvanaf 2020eindredacteurvandebiologiemethodeVivo(ThiemeMeulenhoff)voorhetmiddelbaaronderwijs.Zij schreef SamengevatAnatomieenFysiologie voorhbo-v/ verpleegkundeAenwascoauteurvandeuitgaven AnatomieenziekteleervoorverzorgendenIG deel1en deel2, Anatomieenfysiologie voorkwalificatieniveau4 en InterneGeneeskunde voorkwalificatieniveaus4en5.

RogierTrompert(1974)isspecialistinde medischeenwetenschappelijkeillustratie.HijisopgeleidaandeHogeschool voordeKunstenAcademieMinervate Groningeneninhet DepartementofArt inMedicine vandeUniversiteitvan Manchester.In1999studeerdeRogiercumlaudeafaan de MasterScientificIllustration enstarttezijnbedrijf RogierTrompert MedicalArt,datinEuropatoonaangevendisinhetcreërenvanmedisch-wetenschappelijke illustratiesvoorondermeermedischspecialisten,farmaceuten,klinieken,uitgevers,universiteitenenmusea.
Vanaf2011ishij programdirector vande Master ScientificIllustration inMaastricht,eeninternationale masteropleidingdiestudentenvanoverdehelewereld trekt.
ThiemeMeulenhoffisdépartnerbijhetvernieuwenen verbeterenvanonderwijs.
Ditstudieboek AnatomieenFysiologie iseengoed voorbeeldvanwaarThiemeMeulenhoffvoorstaat.Volgenseenbeargumenteerddidactisch-methodischconceptwordendebouwendefunctievanhetmenselijk lichaambesproken.Doelismeerinzichttekrijgeninde mensalstotaliteit.
Dankzijdeonderwijskundigeindeling,hettoegankelijke enpersoonlijketaalgebruikendeaansprekendeillustratiesisheteenboekwaarmeejeprettigstudeert.Hetis tegelijkertijdeenbetrouwbaarnaslagwerkvoordeberoepspraktijkendealgemeneontwikkeling.Degedifferentieerdedigitaleleeromgevingondersteuntopallerlei manierenhetleren:doormiddelvanteksten,video’s, animaties,controlevragenenfeedback.
Lerenmoetzoplezierigmogelijkzijn.Ditisdeleidende gedachtegeweestbijhetmakenenhetsteedsverbeterenvanditboek.Wijhebbengeprobeerdomindeopzet,detekstendebijbehorendeillustratieszogoed mogelijkaantesluitenbijdewereldvandemoderne student.Onsstrevenbijhetontwerpen,bijheteerste schrijf-entekenwerkenvervolgensbijhetschavenen polijstenervanissteedsgeweest:eenboekmaken waarinjeprettigstudeert,maardatjeooklater,inje werkzameleven,alsbetrouwbaarnaslagwerkkuntgebruiken.
Hetschrijvenvaneendikkepilisgemakkelijkerdanhet makenvaneencompactleerboekdatpreciesbeantwoordtaanwatvoordedoelgroepnodigenvoldoende is.HetboekisontwikkeldvanuitenvoordeNederlandse enVlaamseonderwijspraktijk.Wijhebbenkritischgekozenwelkeleerstofdeaandachtverdientenwelkedetailleringnodigis.Daarnaastisveelenergiegestoptin hetdoordenkenvaneenzologischmogelijkeaanpaken vervolgensdevormgevingdaarvan.
Datweinonzeopzetgeslaagdzijn,blijktuithetfeitdat hetboek – metsteedsweerverbeterdeversies – almeer danvijfendertigjaargoedontvangenwordtindepraktijk vanhetonderwijs,zowelinNederlandalsinVlaanderen.
Wenodigendegebruikersvanhetboek – studentenen docenten – uitomcommentaarensuggestiesteblijven insturen,zekeralshetgaatomhetontbrekenvangewensteleerstof.Datsteldeonsinstaatomookweer deze zesdedruk aantepassenaandewensenenbehoeftenvandepraktijk.
Wíjzijnblijmethetboek.Wewillengraagdatdegebruikersdatookzijnenblijven!
Voorjaar2025
LudoGrégoire
AgnesvanStraaten-Huygen
RogierTrompert
ThiemeMeulenhoff
Contact? ludo.gregoire@icloud.com. of www.thiememeulenhoff.nl.
Deel1Fundament15
1Terreinverkenning17
1.1Doelstellingenplaatsbepaling17
1.2Anatomie+fysiologie=functioneleanatomie18
1.2.1Functioneleanatomie20
1.2.2Onderzoeksmethoden20
1.2.3Verwantevakgebieden23
1.3Structuurvanhetboek24
1.4Leerstof24
1.4.1Standaardisatieenverschillen24
1.4.2TerminologiaAnatomica26
1.4.3Afkortingen26
1.4.4Studiehandreikingen26
1.5Holistischebenadering27
Mijnvakenik:MariëtteRaadsen,MedischBeeldvormings-enBestralingsdeskundige29
2Cellen31
2.1Metabolisme31
2.2Bouwvandecel33
2.2.1Decelmembraan34
2.2.2Transportviadecelmembraan35
2.2.3Organellen37
2.3Delevenscyclusvandecel45
2.3.1Mitoseengroeifase46
2.3.2Functionelefase47
3Weefsels51
3.1Epitheel51
3.1.1Eenlagigepitheel52
3.1.2Meerlagigepitheel52
3.1.3Klierepitheel53
3.2Steunweefsel54
3.2.1Bindweefsel55
Mijnvakenik:JoeySmeets,Bewegingswetenschapper57
3.2.2Kraakbeenweefsel58
3.2.3Botweefsel59
3.2.4Vloeibaarsteunweefsel60
3.3Spierweefsel61
3.4Zenuwweefsel63
4Topografie69
4.1Deanatomischehouding69
4.2Doorsnedenenlichaamsvlakken69
4.3Plaatsaanduidingen71
4.4Richtingaanduidingen72
4.5Indelinginhoofd,rompenledematen74
4.6Bouwelementen,holtenenvliezen74
4.6.1Bouwelementen74
4.6.2Lichaamsholten75
4.6.3Sereuzeholtenenvliezen76
5Orgaanstelsels79
5.1Orgaanstelselsenhunfuncties80
5.1.1Transport80
5.1.2Voedselvoorziening81
5.1.3Uitscheiding81
5.1.4Gaswisseling81
5.1.5Begrenzing81
5.2Regulatievandevegetatievefuncties82
5.2.1Hormonalestelsel83
5.2.2Vegetatievezenuwstelsel83
5.3Regulatievandeanimalefuncties83
5.3.1Animalezenuwstelsel84
5.3.2Sensorischstelsel84
5.3.3Motorischstelsel84
5.3.4Samenwerken84
Mijnvakenik:JettyStammes,Yogadocent85
5.4Voortplanting86
5.5Detotalemens86
Deel2Orgaanstelsels93
6Circulatiestelsel95
6.1Hethart96
6.1.1Liggingvanhethart96
6.1.2Bouwvanhethart97
6.1.3Hartkleppen99
6.1.4Hartwand99
6.1.5Hartprikkelgeleidingssysteem101
6.2Hartfunctie103
6.2.1Hartcyclus103
6.2.2Bloeddrukinhethart105
6.2.3Elektrocardiogram105
6.2.4Hartcapaciteit108
6.3Hartcirculatie109
6.4Bloedvaten111
6.4.1Bouwenfunctievandebloedvaten111
Mijnvakenik:MariskaStolle,Verpleegkundige113
6.4.2Topografievandebloedvaten116
6.4.3Vaatsystemen122
6.5Bloeddrukinhetlichaam124
6.5.1Bloeddrukbepalendefactoren124
6.5.2Bloeddrukindelichaamscirculatie124
6.5.3Bloeddrukindelongcirculatie125
6.5.4Stroomsnelheidvanhetbloed125
6.5.5Regulatievandebloeddruk126
6.6Bloed127
6.6.1Bloedcellen127
6.6.2Hemopoëse130
6.6.3Hemostase131
6.6.4Bloedplasma132
6.7Uitwisselingvanstoffentussenbloedenweefselvocht135
6.7.1Bloeddrukenosmotischedruk135
6.7.2Weefselvocht136
6.8Lymfevatenstelsel137
6.8.1Lymfeenlymfevaten138
6.8.2Lymfoïdeorganen139
Mijnvakenik:MargotdeKoning,Deskundigeinfectiepreventie141
6.9Immuniteit143
6.9.1Niet-specifiekeimmuniteit143
6.9.2Specifiekeimmuniteit146
6.9.3Immunisatie151
6.10Bloedgroepen153
7Spijsverteringsstelsel155
7.1Voedingsstoffen155
7.1.1Koolhydraten156
7.1.2Lipiden158
7.1.3Eiwitten159
7.1.4Mineralen161
7.1.5Vitaminen161
7.1.6Water163
7.2Spijsverteringskanaal164
7.2.1Algemenebouwvandewand166
7.2.2Mondholte167
Mijnvakenik:EvaVerhoeff,Diëtist169
7.2.3Keelholte175
7.2.4Slokdarm175
7.2.5Maag176
7.2.6Dunnedarm180
7.2.7Dikkedarm185
7.3Spijsverteringsklierenengalwegen188
7.3.1Alvleesklier189
7.3.2Lever190
7.3.3Degalwegen196
7.4Peritoneum196
Mijnvakenik:IsabelSanders,Gezondheidswetenschapper197
7.4.1Extra-enintraperitoneaal198
7.4.2Mesenteriumenomentum199
7.4.3Peritonealeruimten200
8Urinewegstelsel201
8.1Nieren201
8.1.1Bouwvandenier202
8.1.2Doorbloedingvandenier203
8.1.3Hetnefron203
8.1.4Werkingvandenier205
8.1.5Regelingvandewater-enzoutenuitscheiding208
8.1.6Regelingvandezuurgraad209
8.1.7Aanmaakvanerytrocyten210
8.2Urine210
8.3Transport,opslagenverwijderingvanurine211
8.3.1Urineleiders211
8.3.2Urineblaas212
8.3.3Urinebuis212
8.4Mictie213
9Ademhalingsstelsel215
9.1Luchtwegen215
9.1.1Neusholte216
9.1.2Mondholte219
9.1.3Keelholte219
9.1.4Strottenhoofd219
9.1.5Luchtpijpenhoofdbronchiën223
9.1.6Bronchiënenbronchiolen224
9.1.7Longblaasjes224
9.1.8Longvlies224
Mijnvakenik:InekeOpstal,VerpleegkundigeIC225
9.1.9Doorbloedingvandelongen226
9.2Gaswisseling226
9.2.1Indelongblaasjes228
9.2.2Indeweefsels228
9.3Ademhalingsbewegingen230
9.3.1Inspiratie230
9.3.2Expiratie231
9.3.3Regulatievandeademhaling231
9.4Longfunctie234
9.4.1Longfunctiegrootheden234
9.4.2Ademhalingsfrequentie235
9.4.3Doderuimte236
9.4.4Gasanalyse236
10Huid239
10.1Functiesvandehuid239
10.2Bouwvandehuid240
10.2.1Epidermis240
10.2.2Dermis243
10.2.3Herstelvaneenhuidwond244
10.2.4Subcutis248
10.2.5Bijzondereepidermalestructuren248
Mijnvakenik:MarliesvandenHurk-Bakker,Biologieleraar253
10.3Bloedvoorzieningvandehuid254
10.4Temperatuurregulatieviadehuid255
10.4.1Lichaamstemperatuur255
10.4.2Warmteproductieenwarmteoverdracht255
10.4.3Regulatie256
11Hormonalestelsel259
11.1Algemenewerkingvanhormonen259
11.1.1Steroïdhormoneneneiwithormonen260
11.1.2Regelkringen261
11.2Hethypothalamus-hypofysesysteem262
11.3Hypofyse263
11.3.1Neurohypofyse263
11.3.2Adenohypofyse265
11.4Pijnappelklier266
11.5Schildklier267
11.6Bijschildklieren268
11.7EilandjesvanLangerhans269
11.8Bijnieren270
11.8.1Bijnierschors270
11.8.2Bijniermerg271
11.9Geslachtsklieren273
11.10Weefselhormonen273
12Zenuwstelsel279
12.1Algemenefuncties279
12.2Algemenewerking280
Mijnvakenik:NicôleMeulenbelt,Anesthesieassistent281
12.3Indelingen282
12.3.1Anatomischeindeling284
12.3.2Fysiologischeindeling284
12.4Zenuwweefsel286
12.4.1Neuronen287
12.4.2Neuroglia288
12.4.3Wittestofengrijzestof290
12.4.4Membraanpotentiaalenimpulsopwekking292
12.4.5Impulsoverdracht294
12.5Grotehersenen296
12.5.1Uitwendigebouw297
12.5.2Inwendigebouw298
12.5.3Functies300
12.6Tussenhersenen307
12.6.1Thalamus307
12.6.2Hypothalamus308
12.7Hersenstam308
Mijnvakenik:CheridaLouz,Operatieassistent309
12.7.1Middenhersenen310
12.7.2Pons310
12.7.3Verlengdemerg310
12.7.4Reticulaireformatie311
12.7.5Hersenzenuwen312
12.8Kleinehersenen316
12.9Ruggenmerg319
12.9.1Bouw319
12.9.2Functies322
12.9.3Ruggenmergzenuwen323
12.10Reflexen327
12.10.1Hersenstamre flexen329
12.10.2Ruggenmergreflexen329
12.11Vegetatievezenuwstelsel331
12.11.1Sympathischezenuwstelsel331
12.11.2Parasympathischezenuwstelsel333
12.12Hersenvliezen334
12.12.1Duramater334
12.12.2Arachnoideamater335
12.12.3Piamater336
12.13Ventrikelsenliquor336
12.13.1Ventrikels336
12.13.2Liquor338
Mijnvakenik:SimonGrégoire,StudentGeneeskunde337
12.14Doorbloedingvandehersenen340
13Sensorischstelsel343
13.1Sensoren343
13.1.1Indelingvandesensoren344
13.1.2Algemenekenmerken345
13.2Reukzintuig347
13.3Smaakzintuig349
13.4Huidzintuigen351
13.5Gezichtszintuig354
13.5.1Bouwvandeoogbol355
13.5.2Inwendigebouwvandeoogbol358
13.5.3Zien359
13.5.4Dehulporganenvanhetoog363
Mijnvakenik:ArjanOtte,Ergotherapeut365
13.6Gehoorzintuig370
13.6.1Bouwvanhetoor370
13.6.2Horen373
13.7Propriosensoren375
13.7.1Evenwichtsorgaan375
13.7.2Spierspoelen376
13.7.3Propriosensoreninpezenengewrichten376
13.8Interosensoren377
14Motorischstelsel379
14.1Skelet379
14.1.1Bouwvanhetbot380
14.1.2Botafbraakenbotopbouw381
14.1.3Indelingvanbotten383
14.2Botverbindingen384
14.2.1Bindweefselverbindingen384
14.2.2Kraakbeenverbindingen385
14.2.3Gewrichten385
14.3Bottenenbotverbindingenvanhethoofd388
14.3.1Hersenschedel388
14.3.2Aangezichtsschedel390
14.4Bottenenbotverbindingenvanderomp392
14.4.1Wervelkolom392
Mijnvakenik:WendyVergeer,Bewegingstherapeut395
14.4.2Ribbenenborstbeen397
14.5Bottenenbotverbindingenvandeextremiteiten399
14.5.1Schoudergordel399
14.5.2Armenhand400
14.5.3Bekkengordel401
14.5.4Beenenvoet402
14.6Spieren408
14.6.1Algemenebouwenfuncties408
14.6.2Spierenvanhoofd,nekenhals417
14.6.3Spierenvanderomp420
Mijnvakenik:EpkeZonderland,Topturnerenarts424
14.6.4Spierenvandeextremiteiten429
Mijnvakenik:HansMinten,Sporttrainer435
15Voortplantingsstelsel439
15.1Geslachtskenmerken439
15.2Vrouwelijkegeslachtsorganen440
15.2.1Vulva440
15.2.2Eierstokken444
15.2.3Eileiders444
15.2.4Baarmoeder445
15.2.5Vagina445
15.3Mannelijkegeslachtsorganen446
15.3.1Penis446
15.3.2Zaadballen448
15.3.3Bijballen450
15.3.4Zaadleider450
15.3.5Zaadblaasjes,prostaatencowperklieren450
15.4Ontwikkelingvangeslachtscellen452
15.4.1Meiose452
15.4.2Eicelontwikkeling452
Mijnvakenik:NeleVandenbrouck,Kinesitherapeut453
15.4.3Zaadcelontwikkeling456
15.5Hormonalebeïnvloeding456
15.5.1Menstruelecyclus456
15.5.2Ovariëlecyclus459
15.5.3Hormonaleregulatievandetestes459
15.6Coïtus460
15.7Bevruchting463
15.7.1Opwegnaardeeicel463
15.7.2Versmelting463
15.7.3Anticonceptie464
15.7.4Genderidentiteit468
Deel3Levensloop471 16Voordegeboorte473
16.1Overervingvaneigenschappen473
16.1.1Karyogram474
16.1.2Allelen474
16.1.3Kansberekeningbijovererving475
16.1.4X-chromosomaleovererving476
16.2Embryonaleontwikkeling477
16.2.1Eerstetotvierdeweek477
16.2.2Vierdetotnegendeweek480
Mijnvakenik:DelanoSanches,StudentBiomedischeWetenschappen483
16.3Foetaleontwikkeling484
16.4Aanleg,groeienontwikkelingvandeorgaanstelsels487
16.4.1Circulatiestelsel487
16.4.2Spijsverteringsstelsel491
16.4.3Urinewegstelsel492
16.4.4Ademhalingsstelsel493
16.4.5Huid494
16.4.6Hormonalestelsel494
16.4.7Zenuwstelsel495
16.4.8Sensorischstelsel496
16.4.9Motorischstelsel497
16.4.10Voortplantingsstelsel499
17Zwangerschap,bevallingengeboorte501
17.1Zwangerschap501
17.2Aanpassingenindeorgaanstelsels502
17.2.1Circulatiestelsel502
17.2.2Spijsverteringsstelsel502
17.2.3Urinewegstelsel503
17.2.4Ademhalingsstelsel503
17.2.5Huid503
17.2.6Hormonalestelsel504
17.2.7Zenuwstelsel506
17.2.8Sensorischstelsel506
17.2.9Motorischstelsel506
17.2.10Voortplantingsstelsel506
17.3Bevalling506
17.3.1Ontsluiting508
17.3.2Uitdrijving509
17.3.3Nageboorte509
17.4Geboorte509
Mijnvakenik:MinkedeVroomen,Verloskundige511
17.4.1Postnatalebloedcirculatie512
17.4.2Apgarscore512
17.5Dekraamvrouw513 18Nadegeboorte515
18.1Ontwikkeling515
18.1.1Groei,rijpingenleren515
18.1.2Beïnvloeding516
18.1.3Tempo517
18.1.4Doordeeeuwenheen517
18.1.5Metenvanontwikkeling518
18.2Levensfasen518
18.3Deorgaanstelsels520
18.3.1Circulatiestelsel520
18.3.2Spijsverteringsstelsel522
18.3.3Urinewegstelsel528
18.3.4Ademhalingsstelsel529
18.3.5Huid529
18.3.6Hormoonstelsel531
18.3.7Zenuwstelsel532
18.3.8Sensorischstelsel534
18.3.9Motorischstelsel537
Mijnvakenik:JorritCleij,Sportleraar539
18.3.10Voortplantingsstelsel547
18.4Stervenendood549
Uitleiding551
Inleiding
Indeel1vanditboekwordthetfundamentgelegdvoor eensamenhangendebestuderingvanhetvakanatomie/ fysiologie.
Inhoofdstuk1komendedoelstelling,deplaatsbepaling endedefinitievanhetvakaandeordeenwordtde structuurvanhetboektoegelicht.
Hoofdstuk2gaatovercellen:debasisbouwstenenende fundamentelestofwisselingseenhedenvanhetorganisme.
Inhoofdstuk3gaanweinopdebouwenfunctievan weefselsenbesprekenwedevierhoofdgroepenweefsels.
Inhoofdstuk4komtdetopografievanhetmenselijk lichaamaandeorde.Hierbijbehandelenweallegangbareplaats-enrichtingaanduidingenvanorganen, lichaamsstructurenenlichaamsdelen.Tenslottewordt eenalgemenebeschrijvingvandeuitwendigeeninwendigemensgegeven.
Inhoofdstuk5leggenweuitdatbijdebehandelingvan hetvakanatomie/fysiologiehetmenselijklichaamgezien kanwordenalseengeheelvanfunctiesystemen.De functiesbinnendiesystemenblijkendoortienorgaanstelselsuitgeoefendteworden.

Inleiding


Ditstudieboekisgeschrevenvooriedereendieeenopleidingvolgtvooreenberoepindegezondheidszorgof indesport.Werichtenonsopverpleegkundigenen verpleegkundigspecialisten,opfysiotherapeuten(NL)/ kinesitherapeuten(B)ensportleraren.Hetboekisechter netzogoedbruikbaarvoorbewegingstherapeuten (Mensendieck,Cesar),ergotherapeuten,sporttrainers, yogadocenten,verloskundigen,deskundigeninfectiepreventie,diëtisten,operatieassistenten,medischbeeldvormings-enbestralingsdeskundigen(MBB’ers)enanesthesiemedewerkers.Biologen,studentenbewegingswetenschappen,gezondheidswetenschappen,biomedische wetenschappenengeneeskundevindenerookalle basisinformatieoverdeanatomieendefysiologievande mens.Enhetboekblijftalsnaslagwerkvooriedereenzijn waardebehouden.
Jehebtditvakgebiedgekozenomdatjebelangstelling hebtvoorwerkenmetenvoormensen.Jehebtnagedachtoverwathetberoepinhoudt,overdevoldoening diehetberoepkangevenenoverdemoeilijkekanten vanhetwerk.Dekansopvakmanschapisgroternaarmatejejezelfmeerkennisenkundeopjevakgebied hebteigengemaakt.Metditboekbiedenwejeeenstevigebasisindekennisvanenhetinzichtindeanatomie enfysiologievandemens.Losvandebetekenisvandit boekvoorjewerk,kunjeerookinopzoekenhoeje eigenlichaaminelkaarzitenhoehetfunctioneert.Je kunterdusjehelelevenpleziervanhebbenwanthet gaatgewoonwegoverjezelf.
Nadebestuderingvanhoofdstuk1 Terreinverkenning
■ weetjewatdedoelstellingisvanhetsteunvak anatomieenfysiologie;
■ weetjededefinitievananatomie;
■ weetjededefinitievanfysiologie;
■ begrijpjewatfunctioneleanatomieinhoudt;
■ kenjeeenaantalveelgebruikteonderzoeksmethodendieanatomischeenfysiologischekennis vanhetmenselijklichaamopleveren;
■ kenjedestructuurvanendeleerrouteindit studieboek;
■ hebjeeenbeeldvandeinhoudendeaardvan hetvakanatomieenfysiologie;
■ kenjedekenmerkenvandestandaardmens.
Nahetbehalenvanhetdiplomavaneenvandebovengenoemdeopleidingenmagjehetbijbehorendeberoepuitoefenen.Deopleidingbereidtjevooropeen optimalevervullingvanjeberoepstaken.Bijalleberoepen indegezondheidszorgendesportwerkjemetmensen, methunlichamelijke,geestelijkeensocialeeigenschappen,hunmogelijkhedenenbeperkingen.Jebiedthulp,je geeftinstructies,aanwijzingeneninformatie.Ditkanalleenalsjeweetwelkehulp,welkeinstructies,welke aanwijzingenenwelkeinformatiejemoetgeven,op
welkemanier,wanneerenvooralookwaarom.Alsjedie belangrijkezakengoedonderdekniehebt,werkjeook metmeerplezier.Tijdensjeopleidingleerjedit ‘wat’ , ‘hoe’ , ‘wanneer’ en ‘waarom’
Indeverpleegkunde,degezondheidskunde,deverloskundeenalleberoepenophetgebiedvansportenbewegingmoetjeeersteengoedinzichthebbeninhoede gezondemensgebouwdisenfunctioneert.Kennisvan bouwenfunctievormtdebelangrijkstebasis,hetfundament,waaropjegaatbouwenaandespecifiekeaspectenvanjevak.
Binnendeverpleegkunde,degeneeskunde,defysiotherapieensoortgelijkevakgebiedenzijnheelveelmethodenontwikkelddiehetherstelvaneenziekte,letselof functiestoornisbevorderen.Indeverloskundedraaitalles omdespecifiekeperiodevanzwangerschap,bevallingen geboorte.Ophetgebiedvansportenbewegingiserook veelaandachtvoordelichamelijkheidvandemens,of hetnugaatomjeopleidingopdesportacademie,het trainenindebreedtesportofvoordeOlympischeSpelen, indebewegingswetenschap,yoga, fitnessofbewegingstherapie.Omdemogelijkhedenvantrainingen bewegingoptimaaltekunnentoepassenmoetjeeerst goedwetenhoedegezondemensinelkaarziten functioneert.
Hetvakanatomieenfysiologieisdanookspecifiekgerichtophetgezondelichamelijke(somatische)functionerenvandemens.Hetpsychischeenhetsocialefunctionerenbehorentotdeterreinenvandepsychologieen desociologie.
Samenvattendzijndedoelstellingendeplaatsbepaling vanhetvakanatomieenfysiologie:
■ Jehebteenzodanigekennisvaneninzichtinde gezondebouwenfunctievanhetmenselijklichaam, datjevoorjeeigenvakgebiedrekeningkunthouden metdemogelijkhedenenbeperkingenvandemenselijkelichamelijkheid.
■ Hetiseensteunvak;anatomieenfysiologiebieden eenbelangrijkfundamentvoordespecifiekberoepsgerichtecompetenties.
Omtewetentekomenhoeietsgebouwdis,kunjehet hetbesteuitelkaarhalen.Ondernemendekinderen passenditprincipevaaktoe.Vanoudsherdoen nieuwsgierigewetenschappersdatookenvooralhet menselijklichaamisaleeuweneenuitdagendonderwerp vanonderzoek.Omdebouwtekunnenbestuderenen beschrijvenwerdenwordthetlichaamopengesnedenen ontleed.Dezeactiviteitwordtaangeduidmetdeterm anatomie (ontleedkunde),afgeleidvandeGriekse woorden ‘ana’ (uiteen)en ‘temnein’ (snijden).Deanatomiehoudtzichbezigmetdebouwvanhetmenselijk lichaam.Ennogsteedswordtdoormiddelvannieuwe techniekendezekennisuitgebreid.
Hoeweldoormiddelvandeanatomieontdektisdathet menselijklichaamuitheelveelverschillende,onderling verbondendelenbestaat,geefthetontledengeenantwoordopvragenals: ‘Hoewerkthet?’ en ‘Watisde functie?’ Hetontledelichaamisimmersdood,deorganenwerkennietmeer.Jekuntdoorlogischredeneren welbepaaldeveronderstellingendoenoverdewerking endefunctie,maarjewiltdezeveronderstellingenook graagbewijzen.Onderzoekbijlevendemensenmaakt ditmogelijk.Ditgebeurtmetbehulpvan – vaakcomplexe – apparaten,waarmeejeproevendoet,bepaalde functieskuntmetenenhetinwendigevanhetlichaam

kuntonderzoeken.Dewetenschapvanhetfunctioneren vaneenlevendorganismewordtaangeduidmetdeterm fysiologie,afgeleidvandeGrieksewoorden ‘phusis’ (natuur)en ‘logos’ (leer).Voorbeeldenvanfysiologische gegevenszijn:bloeddruk,zuurstofverbruik,samenstelling vandeurine,ademfrequentie,spierkrachtenhersenactiviteit.Nogsteedswordennieuweapparatenontwikkeld enbestaandetechniekenverfijndommetingenvande lichaamsfunctiesteverrichten.

Figuur1.2Metingvandelongcapaciteit
Leuk omteweten
Meerdan2000jaarvoorhetbeginvanonzejaartellingwaserinhetOudeChinaenhetOude Egyptealaandachtvoordeanatomieenfysiologie vandemens.InEuropasituerenwehetbeginvan dezewetenschappen – sterkverwevenmetdegeneeskunde – indeGrieks-Romeinsetijd.Grotenamenrondhetbeginvanonzejaartellingzijn
HippocratesvanKos (460–370), Aristoteles (384–322)en ClaudiusGalenus (129–199). IndeRenaissancewerdophetwerkvandeze klassiekeanatomenvoortgebouwddoorwetenschappersals LeonardodaVinci (1452–1519), AndreasVaesalius (1514–1564)en WilliamHarvey (1578–1657).OokindeLageLandenwordtbelangrijkwerkgedaanvoordeontwikkelingvande

HippocratesvanKos
anatomieenfysiologie.Wenoemenhier: Pietervan Foreest (1521–1597), ReinierdeGraaf (1641–1673) en AntonivanLeeuwenhoek (1632–1723).


Debouwvaneenlichaamsdeeloforgaanhangtsamen metdefunctieervan.Doordatjejeduimtegenoveralle vingersvandezelfdehandkuntplaatsen,isjehandheel geschiktalsgrijpinstrument.Vanwegeeenanderebouw hebjedezebewegingsmogelijkheidbijjevoetniet.De functievanjehandisdanookheelandersdandievanje voet.Maarjemagnietconcluderendatdevormen bouwbepalendzijnvoordiefuncties.Jekuntimmers lerenopjehandentelopenofmetjevoetenteschilderen.Hetisjuisteromhetalsvolgttezeggen:vormen bouwzijnbepalendvoordefunctiemogelijkheden. Andersomheeftdefunctievaneenorgaanookinvloed opdebouwervan.Wanneerjebijvoorbeeldregelmatig gaathardlopen,wordenjebeenspierendikker,wordtje longinhoudgroterenjehartwanddikker.Deveranderde bouw(zoalsdedikkerebeenspieren)bepaaltopzijn beurtweerdefunctiemogelijkheden,maarhetisnietzo datdefunctiedevormbepaalt.Aloefenjenogzoveel,je kuntdegroteteennooittegenoverdekleineteenvan dezelfdevoetplaatsen.
Bouwenfunctiezijndynamischevariabelen,dieelkaar beïnvloedenenzeernauwsamenhangen.Jekuntbeide groothedenwelvanelkaaronderscheiden,maarnooit vanelkaarscheíden.Datisderedendatanatomieen fysiologievaakalséénvakgebiedwordengezien.De

combinatievanbeidewordtaangeduidmethetbegrip functioneleanatomie.Functioneleanatomiebehandelt debouwvanhetmenselijklichaamindirecterelatiemet delichaamsfuncties.
Inditboekwordendevakaanduidingen ‘anatomieen fysiologie’ en ‘functioneleanatomie’ alssynoniemengebruikt.
Bijdestudievandebouwenfunctievanhetmenselijk lichaamwordtgebruikgemaaktvanallerleionderzoeksmethoden.Zonderhetlichaamteontledenleverenbepaaldeonderzoekenalheelwatfunctioneel-anatomische kennisop.
Bij inspectie observeerjesystematischdebuitenkantvan hetlichaam.Hoeisdekleurvandehuid?Zijnerputjes ofknobbels?Staatdepersoonrecht?Hoebeweegtde persoonzich?
Bij palpatie tastjemetdehandenenvingershet lichaamsoppervlakopzo’nmanierafdatjeietsteweten komtoverdiepergelegenstructuren.Zijnerverhardingeninhetweefseltevoelen?Zijndespierenslapofjuist gespannen?Heeftdelevernormaleafmetingen?Isde frequentievandehartslagnormaal?
Bij percussie klopjeaandebuitenkantopeendeelvan hetlichaamomuitdehoogtevandetooneenindrukte

wervelkolom
Figuur1.3bPalpatie:inditgevalbeoordelingvande pols


Figuur1.3dAuscultatie:inditgevalluisterennaarde luchtstroomindelongen
krijgenvandetoestandvanhetonderliggendeweefsel. Ishethartvergroot?Hoeontplooiendelongenzichtijdensdeademhaling?
Bij auscultatie luisterjemeteenstethoscoopnaargeluidendiedoorhetlichaamgeproduceerdworden.Welke tonenproduceerthethart?Hoeactiefzijndedarmen? Hoestroomtdeluchtdoordelongentijdenshetademen?
Bij laboratoriumonderzoek wordenweefselsenvloeistoffen,zoalsbloed,speekselofurine,onderzocht.Hoeis desamenstellingvandebloedcellen?Zittenerbacteriën inhetspeekseldieeenontstekingkunnenveroorzaken? Welkestoffenzittenerindeurine?
Ookmodernetechnologiebiedtveelmogelijkhedenom onderzoektedoennaarbouwenfunctievanhetmenselijklichaam.
Hetröntgenapparaatmaakthetmogelijkomdoormiddel van röntgenstraling (X-straling)opnamentemakenvan debotteninhetlichaam.Dekalkhoudendebottenabsorberendestralingniet,integenstellingtotdeomringendezachtereweefsels.Opeenröntgenfotolichtende bottendaardoorwitop.
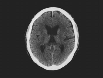
Bij computertomogra fie (CT)wordtookröntgenstraling toegepast.Hierbijkunnenookzachtereweefselszichtbaarwordengemaakt.Decomputerversterktdeverschillenindematewaarinweefselsdestralingabsorberenenkanerdaneenafbeeldingvanmaken.Terwijleen röntgenfotoeensoortskeletportretis,wordtbijeenCTscaneendoorsnedevanhettotalelichaamsdeelgemaakt.Hieropzijndemeestetypenweefselsherkenbaar.
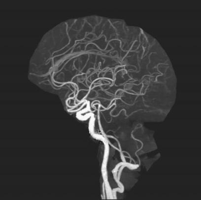
Meteen angiografie kanmenafwijkingenindehartholtenenindebloedvatenopsporen.Nadateencontrastvloeistofindebloedbaanisgespotenkunnende hartholtenenbloedvatenvervolgensdoormiddelvan röntgenfoto’szichtbaarwordengemaakt.Zoontstaat eenzogenoemdangiogram.
Bij magneticresonanceimaging (MRI)wordtdeteonderzoekenpersoonineentunnelgeschovendieeenzeer sterkemagneetbevat,waarmeedewaterstofatoomkerneninhetlichaamgemagnetiseerdworden.Dezekernen gaanzichalsminimagneetjesgedragenendraaienten opzichtevandegrotemagneetineenbepaalderichting. TegelijkertijdwordenvanuitdeMRI-tunnelradiogolven uitgezondenwaardoordewaterstofatoomkernengaan meetrillen(resoneren).Zodraderadiogolvengestopt worden,gevendewaterstofatoomkernendetrillingsenergieafalssignalen.Decomputerkandezesignalen omrekenenindoorsneden,diebepaaldeeigenschappen vandestructurenenweefselsweergeven.Luchten weefselsdieweinigofgeenwaterbevatten,bijvoorbeeld botweefsel,gevengeensignaalafenzieneropdeMRIscanzwartuit.
Echografie of echoscopie isbeeldvormendonderzoek metbehulpvanultrageluidstrillingen.Hierbijwordenvia eensondehoogfrequentegeluidsgolvenhetlichaamingezonden.Degolvenwordendoordeorganenen weefselstructurenweerkaatstenvervolgensgeregistreerd.Decomputerzetdeweerkaatstegolvenomin beeld.

Figuur1.4aRöntgenfotovandehand(kind)

Figuur1.4bCT-scanvandehersenen

Figuur1.4cEchovandebaarmoedervaneen zwangerevrouw(12weken)

Figuur1.4dAngiogramvandehersenen

Figuur1.4eHetmakenvaneenelektrocardiogram

Figuur1.4fHetmakenvaneenMRI-scan


1 dijbeen 2 knieschijf
kuitbeen
scheenbeen

Bij doppleronderzoek wordtookgebruikgemaaktvan hoogfrequentegeluidsgolven.Hiermeekunnenvooralde stroomrichtingenstroomsnelheidvanhetbloedinde bloedbaanwordengeregistreerd.
Endoscopie isdeverzamelnaamvooralleonderzoeken waarbijgebruikwordtgemaaktvaneenoptischesonde.
Ditiseen flexibelestaaf,voorzienvaneenminicamera. Metdezesonde,deendoscoop,kunnenvrijwelalleholle organenendegrotegewrichtenvanbinnenworden bekeken.Alnaargelanghetteonderzoekenorgaan sprekenwevanlaryngoscopie(strottenhoofdenstembanden),bronchoscopie(luchtwegen),gastroscopie (maag),coloscopie(dikkedarm),cytoscopie(blaas), hysteroscopie(baarmoeder),laparoscopie(buikholte)en artroscopie(gewrichten).
Elektrischesignalenvanhetlichaamkunnenworden opgevangenenweergegevenopeenbeeldscherm. Voorbeeldenzijnhet ECG (elektrocardiogram)metgegevensoverdehartactiviteit,het EEG (elektro-encefalogram)metgegevensoverdehersenactiviteitenhet EMG (elektromyogram)metgegevensoverdespieractiviteit.
CT-scan. Echo. MRI.
Endoscopie. Röntgenfoto.
Inditstudieboekstaatdeanatomieenfysiologievande gezondemenscentraal.Vanzelfsprekendzijnereen aantal ‘aanpalende’ vakgebiedendiespecifiekeinformatieoverbepaaldeaspectenvandeanatomieenfysiologie vandemensbieden.Voorbeeldendaarvanzijn:inspanningsfysiologie,biomechanica,voedingsleer,bewegingsleerentrainingsleer.Waarrelevanteninstructiefbinnen deleerstofmakenweeenzijsprongnaarzo’nvakgebied. Alsverdereverdiepingofspecialisatienodigis,adviseren wejeomspecifiekestudieboekenteraadplegen. Wijhebbenervoorgekozenominditboekzominmogelijkuittewijdenoveraandoeningenofziektebeelden
(pathologie).Daarvoorisvoldoendeafzonderlijkeleerstof beschikbaar.Somszijndelijnentussen ‘gezond’ en ‘pathologisch’ echternietscherptetrekken.Hetgenezen vaneenhuidwondbijvoorbeeldwordtdoorgaansniet beschrevenalseenprocesindesfeervandepathologie. Bij ‘alledaagse’ problemenalshoofdpijn,buikpijn,spierpijn,eenverstuikteenkel,enzovoorthebbenwehetin striktezinooknietoverpathologie.Overigensgeldtdat ookvooraandoeningenenproblemendiesamenhangen methetnormaleverouderingsproces.Waarleerzaamof leukbestedenweinditboekaandachtaandergelijke alledaagseverschijnselenvaneninhetmenselijklichaam. Indedigitaleleeromgeving(zieverderop)gaanwe welinoppathologiediejoukanondersteunenbijhet bestuderenvandeleerstof.
Destructuurvanditboek – endaarmeedesystematische opbouw – isweergegeveninafbeelding1.5.Hetmidden vandecirkelgeefttegelijkertijddestartvanhetboeken destartvandeleerrouteweer.Aanhetbeginvanelk deelenookbovenelkhoofdstukvindjedezecirkelterug metdaarinpreciesaangegevenwaarje ‘zit’ tenopzichte vanhetgeheel.
Deel1vormthetfundamentvooreengedegenbestuderingvandefunctioneleanatomievandemens.Het begintmeteenafbakeningenverkenningvanhetvakgebied.Derolenbetekenisvanhetvakwordenuitgelegd.Verderomvathetfundamentallebenodigdeinformatieovercellenenweefsels.Vervolgenswordtde topografie(plaatsbeschrijving)vanhetmenselijklichaam behandeld,eenonmisbaaronderwerpvoordeverdere studievandeanatomieenfysiologievandemens.
Daarnawordtuitgelegddathettotalemenselijkfunctionerengebaseerdisopeenaantalfunctiesystemen.We eindigendeel1meteenkortebesprekingvandeessentiëlefunctiesvanalleorgaanstelsels.Hierbijwordtde nadrukgelegdopdeonderlingesamenhangensamenwerkingtussendezestelsels. Indeel2vanditboekwordendeanatomieenfysiologie vandetienorgaanstelselsgedetailleerdbesproken.
Deel3bevathoofdstukkendiehandelenoverde levensloopvandemens,tebeginnenbijdebevruchting (conceptie).Daarnawordendezwangerschap,deembryonaleontwikkelingendebevallingbesproken.Vervolgenskomendelevensfasenaandeorde,vanafde eerstelevensdagtotaanhetlevenseinde.
Dehoofdstukkenvandeel1kunnenhetbestinde aangegevenvolgordebestudeerdworden.Deel2en3 hebbeneenbepaaldeordening;delogicaindieordening wordtuitgelegdinhoofdstuk5vandeel1.Maarjekunt dehoofdstukkenbinnenelkdeelooklosvanelkaarenin eenzelfgekozenvolgordebestuderendiehetbestepast bijdeeigenstudieofhetinzichtvandedocent.
Inditboekkomjeallerlei ‘menselijkematen’ tegen,zoals longinhoud,hartslagfrequentieendetotalehoeveelheid bloed.Dezematengeldenvooreenspecifiekgedefinieerdpersoon:de standaardmens.Destandaardmensin defunctioneleanatomieheeftdevolgendekenmerken:
■ mannelijk;
■ 25jaaroud;
■ 1,75mlang;
■ 70kgzwaar;
■ gemiddeldelichaamsbouw;
■ gezond.
Degegevensdiehorenbijdestandaardmenszijngemiddeldewaarden.Ditisgedaanomhetlerenenonthoudengemakkelijkertemaken.Jemoetjewelgoed realiserendateigenlijkniemandde ‘standaardmens’ is.Er zijnaltijd – vanpersoontotpersoon – verschillende waardeneneigenschappen.Dieverschillenhangensamenmetgeslacht,levensfaseennogveelmeerfactoren. Iedermensisimmersuniek!Opeenaantalplaatsen hebbenwediemaatverschillenjuistwelvermeld,vooral dietussenvrouwenenmannen.Enookindeontwikkelingvankindviavolwassenheidnaardeouderdom.
Deel 1
Fundament
+ Deel 2
Orgaanstelsels
+ Deel 3
Levensloop


















































































































































































Studieboek en naslagwerk voor beroepen in de gezondheidszorg en de sport
Dit boek behandelt de bouw en functie van het menselijk lichaam. Doel is inzicht te krijgen in de mens als totaliteit. Door de toegankelijke schrijfstijl, de heldere structuur en de aansprekende illustraties studeer je effectief en prettig. En het blijft een betrouwbaar naslagwerk in je beroepspraktijk.
Voor het onderwijs in Nederland en Vlaanderen
Doelgroepen:
• verpleegkundigen, verpleegkundig specialisten
• fysiotherapeuten, bewegingstherapeuten, ergotherapeuten
• sportleraren, sporttrainers, yogadocenten
• verloskundigen, deskundigen infectiepreventie, diëtisten
• operatieassistenten, MBB’ers, anesthesiemedewerkers
• biologen, studenten bewegingswetenschappen, gezondheidswetenschappen, biomedische wetenschappen en geneeskunde.
Dit boek wordt geleverd met een toegangscode voor de nieuwe online leeromgeving eDition. Hier vind je samenvattingen, verwerkingsopdrachten, beroepsbeelden, pathologie en alle belangrijke begrippen met omschrijving.

HBO+-niveau