Revista Dentista y Paciente 207 | Noviembre

Page 1


Si la Seguridad Radiológica, como Operador de un equipo de Rayos-X Intra-oral es algo que desconoce o no le ha preocupado, tome sus precauciones para que la Radiación Ionizante no llegue a generar con el en su organismo. tiempo Daños Estocásticos y Acumulativos

Como llevar a cabo una toma radiográfica en condiciones de seguridad con Equipos de RX Intra-orales TRADICIONALES, de piso o pared:

Antes de activar el Equipo, colóquese a DOS metros de distancia del RX y del Paciente, fuera del haz principal de radiación, o active el Equipo con disparador remoto. NU NC A so st eng a la Fuent e G e ner a dora e n sus m a no s. NUNCA sostenga en sus manos la película o el sensor digital en la cavidad oral del paciente.

Súmate a una práctica más profesional y segura.

Si la toma radiográfica es con un E qu ip o PORTÁTIL SIN DISPARADOR REMOTO, CO L ÓQ UES E MAND IL , GU ANT ES Y COLLAR TIROIDEO EMPLOMADOS, ya que sin protecciones las Dosis de Radiación pueden rebasar en más de TRES VECES lo que indican las Normas Establecidas de Seguridad Radiológica.

La información pro porci ona d a es cor t esí a de

Noviembre 2025

Según información reciente publicada en distintos medios digitales y respaldada por desarrollos de inteligencia artificial, ha surgido un descubrimiento que podría revolucionar la Odontología. Se le conoce como el “renacimiento de los dientes”, y hace referencia a técnicas innovadoras orientadas a regenerar tejidos dentales. Entre ellas destacan la regeneración dental, que utiliza células madre y biomateriales para reparar las estructuras del diente, y la revascularización pulpar, un procedimiento que busca revitalizar el nervio en dientes jóvenes, permitiendo que el propio diente se repare de forma natural.

Por otra parte, en Japón, un equipo de investigación trabaja en el desarrollo de un fármaco basado en anticuerpos capaz de estimular el crecimiento de nuevos dientes mediante la inhibición de una proteína que bloquea ese proceso. Este tratamiento ya ha sido probado con éxito en hurones y se planean ensayos clínicos en humanos en este mismo año.

De confirmarse su eficacia, este avance podría aplicarse también en adultos que han perdido piezas dentales por caries u otras causas. Según una publicación de ABC Ciencia, se trata de un desarrollo que “cambiaría las reglas del juego” y podría incluso marcar el fin del reinado de los implantes dentales. El equipo japonés prevé tener el fármaco listo para su uso general hacia 2030.

Por otro lado, recordemos que este mes se llevará a cabo la 81ª EXPO AMIC DENTAL y el XLII Congreso Internacional de Odontología ADM-AMIC, en el WTC de la Ciudad de México, del 5 al 9 de noviembre. Se trata de la exposición dental más grande de habla hispana.

Allá nos veremos, nos saludaremos y compartiremos ideas.

¡Síganse cuidando!

Mtro. Carlos Adolfo Espinosa García Especialidad en Odontología Legal y Forense Maestría en Odontología

10 | BOLETÍN

La ruta crítica de la esterilización: disciplina y detalle en la práctica dental

14 | PUNTO DE VISTA Manejo ortodóntico del paciente con osteoporosis

24 | CALIDAD Y DIRECCIÓN

Burnout en el ámbito sanitario del odontólogo: entre la autoexplotación y el ideal del profesionalismo

30 | INVESTIGACIÓN CLÍNICA

Estado de salud periodontal en usuarios de metanfetamina y opioides: una revisión sistemática

Editorial Renascence S.A. de C.V.

Fundador

Jaime Francisco Martínez Aceves†

Directora General

María Guadalupe Patricia López de Martínez patricia.lopez@dentistaypaciente.com

Directora Editorial

Mariangel Martínez López mmartinez@dentistaypaciente.com

Director de Arte y Diseño

Jesús Salas Pérez jesasez@dentistaypaciente.com

Coordinador Editorial

Marco A. Vergara Salgado marversa@dentistaypaciente.com

Gerentes Comerciales y de Negocios

Carlos Martínez García, Gabriela Ocadiz, Edson Aarón Hernández

Producción y Circulación

Edson Aarón Hernández

Fotografía e Ilustraciones

Editorial Renascence Suscripciones

Edson Aarón Hernández

Preprensa e Impresión

MV IMPRESIONES

Distribución

MV IMPRESIONES, Av. Acueducto #9 Col. Quiahuatla, Alcaldia Tláhuac, C.P. 13090, CDMX

Contabilidad y Administración

L. C. y E. F. Renato Muñoz

director científico

Dr. Carlos Espinosa García

Especialista en Odontología Legal y Forense

consejo editorial

Dr. Carlos Espinosa García

Especialista en Odontología Legal y Forense

Javier Portilla Robertson

Exdirector de la Facultad de Odontología de la UNAM

Especialista en Patología Bucal

Marco A. Vergara Salgado

C.D.E.O. Arturo Alvarado Rossano†

Profesor y Especialista en Ortodoncia y Ortopedia Craneofacial en la Facultad de Odontología. UNAM. Asesor Académico y Coordinador de Difusión de la AMOCOAC.

C.D. Manuel García Luna y González Rubio

Dra. Ana Gabriela Carrillo Varguez Coordinadora de la especialidad en endodoncia UABC Tijuana. Coordinadora de Investigación y Posgrado F.O. UABC

M.C. Ernestina Santillana Marín Subdirectora de CISALUD UABC

William James Maloney, D.D.S. Clinical Associate Professor New York University

universidad anáhuac méxico norte

C.D. Carlos Robles Bonilla Coordinador de la Licenciatura de Cirujano Dentista

C.D. Sergio Antonio Ojeda León Profesor Titular de Odontopediatría de la Licenciatura de Cirujano Dentista

C.D. Bernardo Grobeisen Weingersz Profesor Titular de Clínica Integral de la Licenciatura de Cirujano Dentista

C.D. Norma Ibañez Mancera. Profesora Titular de Patología Bucal de la Licenciatura de Cirujano Dentista

Dirección del Derecho de Autor certificado de reserva al uso exclusivo no. 04-2008022718312200-102 con fecha 27 de Marzo del 2008. Gobernación de la H. Comisión Calificadora de Publicaciones y Revistas Ilustradas, certificado de licitud de contenido 5328, certificado de licitud de título 7411, franqueo pagado, publicación mensual permiso no. PP09-02106, SEPOMEX. Las opiniones expresadas en los artículos y en los anuncios publicados no significan de ninguna manera juicios, criterios, ideas o cualquier otro concepto por parte de la editorial; reflejan únicamente las ideas y pensamientos de sus autores. Los artículos, entrevistas, resúmenes, publirreportajes, fotografías y cualquier otro material son exclusivos de la editorial, y no se autoriza la reproducción total o parcial por ningún medio sin previa autorización del editor. Para cualquier asunto relacionado con suscripción, distribución, comercialización, anuncios, contenido u otro propósito, favor de dirigirse a la editorial. Impreso en MV IMPRESIONES, SA DE CV.

Dentista y Paciente® Publicación mensual correspondiente al mes de NOVIEMBRE DE 2025. editada por Editorial Renascence S.A. de C.V., Rancho Jigüingo 29, Prado Coapa, Ciudad de México, 14350. tel. 56846632, fax 56793656. Distribuida en locales cerrados, depósitos dentales, universidades, congresos y exposiciones. Editora responsable: Mariangel Martínez López. Fotoarte de portada: Editorial Renascence.

distribución certificada por el padrón nacional de medios impresos de la dirección general de medios impresos de la secretaría de gobernación no. 007-136. www.gobernacion.gob.mx

40 | ENCICLOPEDIA ODONTOLÓGICA

Reposicionamiento dental con tratamiento de ortodoncia en paciente clase II debido a traumatismo: reporte de caso

60 | SONRIENDO AL FUTURO

Cómo la nanotecnología está transformando la odontopediatría clínica

50 | CASO CLÍNICO

Resistencia al cizallamiento con brackets TD® élite cerámicos utilizando tres sistemas adhesivos

La ruta crítica de la esterilización: disciplina y detalle en la práctica dental

Manuel Alberto Perez Coutiño -Área de comunicación Lorma

La ruta crítica de la esterilización: disciplina y detalle en la práctica dental

En la práctica clínica, la esterilización es a menudo vista como un procedimiento técnico, una serie de pasos a seguir. Sin embargo, esta visión la reduce a un simple trámite y omite su verdadera esencia: es un arte que combina conocimiento, precisión y una profunda responsabilidad ética. No se trata solo de cumplir una norma, sino de dominar un proceso donde cada detalle, desde la calidad del agua hasta el mantenimiento del equipo, define la seguridad del paciente y previene las infecciones asociadas a la atención de la salud (IAAS).

Como ya hemos examinado en entregas previas de esta columna, cada fase del proceso merece un análisis profundo. Ahora, es momento de sintetizar ese conocimiento. Este artículo destila la ruta crítica de la esterilización, no como un manual más, sino como una cadena de decisiones fundamentales. Nos enfocaremos en aquellos puntos de inflexión, a menudo subestimados, que determinan el éxito o el fracaso de todo el ciclo y que, en última instancia, reflejan la excelencia profesional.

El fundamento ignorado: la calidad del agua

El primer punto crítico en nuestra ruta es, irónicamente, el más subestimado: el agua. El uso de agua potable sin tratar, especialmente en zonas donde presenta una alta carga de minerales (agua dura), introduce un factor de riesgo silencioso. Los minerales que contiene no solo reducen la eficacia

de los detergentes enzimáticos durante la limpieza, sino que, al calentarse en la autoclave, forman depósitos de sales sobre el instrumental.

Estas sales actúan como un aislante térmico, una barrera invisible que dificulta la correcta penetración del calor y compromete la eficiencia del ciclo de esterilización. A largo plazo, los efectos son aún más destructivos: corrosión, decoloración y el temido pitting (corrosión por picaduras), que daña irreversiblemente tanto los instrumentos como la cámara del esterilizador. Por ello, el uso de agua bidestilada no es una simple recomendación, sino un estándar de excelencia para garantizar una base segura.

La honestidad profesional: inspección sin tolerancia al error

Una vez que hemos garantizado una base limpia, la ruta crítica nos lleva a un segundo punto de control que depende enteramente del ojo clínico: la inspección visual. Este paso no es una simple formalidad, sino un acto de honestidad profesional donde la regla es absoluta: tolerancia cero a los residuos. Cualquier materia orgánica residual actúa como un escudo que protege a los microorganismos del agente esterilizante, invalidando por completo el ciclo posterior.

Si tras el lavado se detecta cualquier residuo visible —sangre seca o manchas— el instrumental debe ser reprocesado de inmediato, sin excepciones.

207. Noviembre 2025

Ningún proceso es confiable si el equipo que lo ejecuta no lo es. El mantenimiento periódico de la autoclave no es un trámite, sino una responsabilidad ética. Componentes como los sellos de la puerta sufren un desgaste constante por la dilatación y contracción térmica, y su reemplazo periódico es vital para evitar fugas que comprometan la estabilidad del ciclo.

Esta rigurosidad debe extenderse al entorno inmediato, pues el área de secado y empaque debe ser una zona controlada, limpia y desinfectada, protegida de corrientes de aire para evitar la recontaminación cruzada. Un instrumento que no supera esta estricta inspección simplemente no está listo para ser esterilizado.

El equilibrio en la cámara: el riesgo de las "zonas frías"

Superada la inspección, el instrumental está listo para entrar al esterilizador, donde la organización de la carga se convierte en un factor decisivo. Un error frecuente, impulsado por la prisa, es sobrecargar la cámara o apilar los paquetes de forma inadecuada. Esta práctica sabotea directamente el proceso al crear "zonas frías": bolsas de aire donde el agente esterilizante —sea vapor o aire caliente— no logra circular de manera uniforme.

El instrumental apilado o las bolsas sobresaturadas actúan como barreras físicas que impiden la correcta

penetración del agente esterilizante. Como resultado, aunque el ciclo del equipo se complete y los indicadores externos cambien de color, ciertas áreas dentro de la carga nunca alcanzan los parámetros necesarios para la esterilización. La correcta gestión, por tanto, no se mide por cuántos instrumentos caben en la cámara, sino por asegurar que el 100% de su superficie reciba el tratamiento adecuado.

La barrera final: empaque y mantenimiento como garantía de seguridad

El ciclo de esterilización no termina cuando el equipo se apaga. La protección del instrumental hasta su uso es el último eslabón, y aquí, el sistema de barrera estéril (SBE) actúa como una muralla invisible. Sin embargo, esta barrera es tan fuerte como su correcta selección y uso. Un error grave es utilizar materiales incompatibles con el método, por lo que la regla de oro es ineludible: verificar siempre la ficha técnica del fabricante del empaque.

Finalmente, ningún proceso es confiable si el equipo que lo ejecuta no lo es. El mantenimiento periódico de la autoclave no es un trámite, sino una responsabilidad ética. Componentes como los sellos de la puerta sufren un desgaste constante por la dilatación y contracción térmica, y su reemplazo periódico es vital para evitar fugas que comprometan la estabilidad del ciclo. Cuidar el estado mecánico de nuestros equipos asegura la confianza en cada procedimiento clínico.

Conclusión

La ruta crítica de la esterilización, como hemos visto, es mucho más que una secuencia de pasos: es un ecosistema de detalles donde cada decisión cuenta. Desde la pureza del agua que utilizamos hasta la validación biológica que confirma nuestros procesos, cada eslabón define la seguridad del paciente. La inspección rigurosa, la gestión disciplinada de la carga y el mantenimiento ético de nuestros equipos no son tareas aisladas, sino los pilares que sostienen la confianza clínica.

En última instancia, dominar este arte es un reflejo directo de nuestro compromiso con la excelencia. La constancia, la disciplina y el orden en cada etapa marcan la diferencia entre una atención segura y un foco de riesgo biológico. Hagamos de esta rigurosidad no una obligación, sino un estándar que eleve nuestra práctica y honre la salud de quienes confían en nosotros.

Punto de vista

Manejo ortodóntico del paciente con osteoporosis

Manejo ortodóntico del paciente con osteoporosis

La Organización Mundial de la Salud (OMS) define la osteoporosis como una enfermedad caracterizada por una insuficiencia de masa ósea y un deterioro estructural del tejido óseo. En 2018 se registró que aproximadamente 1 de cada 3 mujeres y 1 de cada 5 hombres padecen osteoporosis.

La ortodoncia es un tratamiento encaminado al manejo de las maloclusiones con el fin de mejorar las funciones del sistema estomatognático. En este tratamiento se requiere una adecuada reabsorción y formación ósea para poder llevar a cabo los movimientos ortodónticos.

El tratamiento ortodóntico en pacientes con osteoporosis requiere consideraciones especiales debido a la alta reabsorción y baja formación de hueso, lo que podría comprometer la inserción del órgano dental en el hueso alveolar. Es importante comprender las implicaciones que puede tener la ortodoncia en estos pacientes, ya que el número de personas con osteoporosis que buscan este tipo de tratamiento ha aumentado en las últimas décadas.

Palabras clave: osteoporosis, dentista, ortodoncista, consideraciones.

C.D. Ana Karen Castellanos Paniagua.* M. en C. José Cuauhtémoc Jiménez Núñez.*° Esp. Gustavo Castillo Salazar.* *Instituto de Ortodoncia Bioprogresiva ° Facultad de Estudios Superiores Iztacala

La osteoporosis es un trastorno esquelético sistémico caracterizado principalmente por la disminución de la matriz orgánica y alteraciones en la estructura del tejido óseo.

La ortodoncia es un tratamiento orientado al manejo de las maloclusiones con el fin de mejorar las funciones del sistema estomatognático. En este procedimiento se requiere una adecuada reabsorción y formación ósea para llevar a cabo los movimientos ortodónticos.

El tratamiento ortodóntico en pacientes con osteoporosis demanda consideraciones importantes debido a la alta reabsorción y baja formación de hueso, lo que podría comprometer la inserción del órgano dental en el hueso alveolar. Por ello, es fundamental comprender las implicaciones que puede tener la ortodoncia en pacientes con osteoporosis, sobre todo porque el número de personas con

La Organización Mundial de la Salud (OMS) define la osteoporosis como una enfermedad caracterizada por una insuficiencia de masa ósea y un deterioro estructural del tejido óseo.

esta condición que buscan dicho tratamiento ha aumentado en las últimas décadas, y es necesario brindarles una atención adecuada.

Desarrollo

Osteoporosis

La Organización Mundial de la Salud (OMS) define la osteoporosis como una enfermedad caracterizada por una insuficiencia de masa ósea y un deterioro estructural del tejido óseo.1 Esta condición afecta aproximadamente al 15% de la población, por lo que representa un problema de salud pública. Se ha observado una mayor prevalencia en mujeres de edad avanzada, afectando a 1 de cada 3 mayores de 50 años.2

Los principales factores etiológicos de la osteoporosis se relacionan con alteraciones hormonales y deficiencias nutricionales.3 Estos factores sistémicos implican alteraciones en el sistema óseo en todo el cuerpo, incluida la cavidad bucal, donde el proceso alveolar puede presentar disminución en su cantidad, comprometiendo tanto la altura como el grosor del hueso, además de afectar la calidad del tejido remanente.4

Diversos estudios han demostrado una relación entre la reabsorción ósea severa y una ingesta inadecuada de calcio en la dieta diaria, así como una deficiente o insuficiente absorción de vitamina D, lo que provoca alteraciones en la relación calcio-fósforo.5 A ello se suma la persistencia de desbalances

Diagnóstico

Osteoporosis severa

Tabla 1. Clasificación de los valores de densidad mineral ósea (DMO)

NOTA: d.e. = desviaciones estándar con respecto a la densidad mineral ósea promedio de adultos jóvenes sanos.

Parámetros

hormonales relacionados con la disminución del estrógeno durante el periodo de la menopausia, lo cual incrementa el riesgo de fracturas y de avulsión dental.6

Hasta el momento, se reconocen 3 tipos de osteoporosis, entre las cuales se incluyen:

• Osteoporosis posmenopáusica: se presenta en mujeres mayores de 45 años. La falta de estrógenos durante la menopausia ocasiona una disminución en la absorción de calcio, así como en la secreción de la hormona paratiroidea (PTH), ambas esenciales en el proceso de absorción del calcio.

• Osteoporosis senil: afecta a personas mayores de 70 años y se caracteriza por la pérdida de masa ósea asociada con el envejecimiento. Compromete tanto a hombres como a mujeres, aunque tiene una mayor incidencia en estas últimas. Puede acompañarse del síndrome de fragilidad, caracterizado por una pérdida acelerada de masa muscular, lo que aumenta el riesgo de fracturas.

• Osteoporosis inducida por corticoides: se produce por el consumo

prolongado de este tipo de medicamentos.1

Los principales factores de riesgo asociados con la osteoporosis y las fracturas son los siguientes:

• Edad: el riesgo aumenta conforme avanza la edad.

• Sexo: existe una mayor incidencia y prevalencia en mujeres, debido a su relación con los procesos hormonales de la menopausia.

• Fractura previa: los antecedentes de fracturas incrementan el riesgo de nuevos eventos, en grados variables según su ubicación y número. Se otorga especial relevancia pronóstica a las fracturas vertebrales, de muñeca, fémur y húmero.

• Consumo prolongado de glucocorticoides: empleados en el manejo de enfermedades autoinmunes, alergias y procesos inflamatorios graves.

El cuadro clínico de la osteoporosis puede incluir dolor y molestias en los huesos afectados. Asimismo, son frecuentes las fracturas por fragilidad, es decir, aquellas que ocurren tras un trauma mínimo o sin causa aparente.

De acuerdo con la OMS, la osteoporosis puede diagnosticarse mediante la medición de la densidad mineral ósea (DMO), a través de estudios como la absorciometría dual de rayos X, también conocida como DEXA, considerada actualmente el estándar de oro para el diagnóstico de esta patología.

Según este mismo estudio, la osteoporosis puede clasificarse de acuerdo con su severidad a partir del valor T, que corresponde al número de desviaciones estándar (d.e.) por debajo de la DMO promedio poblacional. Los parámetros se establecen de la siguiente manera (Tabla 1):

De acuerdo con los criterios del médico tratante y las características clínicas del paciente, pueden realizarse pruebas complementarias, tales como análisis de sangre para evaluar los niveles de calcio, fosfato y vitamina D, o biopsias óseas con la finalidad de valorar la calidad del tejido óseo.7

El tratamiento de la osteoporosis dependerá directamente de su causa. Este puede incluir medidas no farmacológicas y farmacológicas. Las primeras comprenden factores como la actividad física, una nutrición adecuada y el abandono de hábitos nocivos, tales como el tabaquismo. Por otro lado, las medidas farmacológicas implican la prescripción de medicamentos como los moduladores selectivos de los receptores estrogénicos, los bifosfonatos y la suplementación con calcio y vitamina D.8

Los bifosfonatos constituyen el grupo terapéutico más utilizado en el tratamiento de la osteoporosis.9 Su mecanismo de acción consiste en inhibir la actividad de los osteoclastos —células responsables de la resorción ósea—, ayudando así a mantener la densidad y fortaleza del hueso. Si bien han demostrado ser ampliamente efectivos,

su prescripción requiere un manejo cauteloso, ya que el uso prolongado de bifosfonatos se ha asociado con efectos secundarios, entre ellos la osteonecrosis de los maxilares, que afecta aproximadamente a 1 de cada 10 000 pacientes.10

Por estas razones, resulta fundamental que el cirujano dentista conozca las características de esta patología y las consideraciones necesarias para el manejo de pacientes con osteoporosis.

Consideraciones odontológicas generales

Antes que nada, es importante comprender que el paciente con osteoporosis es una persona que, como cualquier otra, buscará atención odontológica con la finalidad de mejorar su salud bucal y, por ende, su calidad de vida. Por ello, el dentista debe contar con los conocimientos suficientes para brindar atención de forma segura, empática y sin temor.

Actualmente, la osteoporosis es una enfermedad controlable, y los principales efectos adversos se relacionan con su tratamiento, particularmente con el uso de bifosfonatos. Sin embargo, la osteonecrosis de los maxilares asociada a estos medicamentos presenta una incidencia baja, de acuerdo con la Sociedad Española de Reumatología (SER).11

Una de las principales consideraciones odontológicas en pacientes con osteoporosis es la comunicación efectiva

Manejo ortodóntico del paciente con osteoporosis

entre el paciente, el odontólogo y el médico tratante, por medio de una interconsulta adecuada. Además, deben tenerse en cuenta los siguientes aspectos:

• Vigilancia permanente: mantener un control riguroso de los factores relacionados con la higiene bucal para prevenir procesos cariosos y periodontales. Asimismo, realizar evaluaciones semestrales exhaustivas de los tejidos duros y blandos con el fin de detectar posibles signos de necrosis.

• Eliminación de factores traumáticos: retirar o ajustar cualquier elemento protésico u ortodóntico que pueda generar traumatismos en los tejidos duros o blandos.

• Suspensión del tratamiento para la osteoporosis: el odontólogo no debe intervenir en la decisión de suspender el tratamiento médico. Esta determinación corresponde exclusivamente al médico tratante. De acuerdo con la SER, los tratamientos odontológicos de rutina no ameritan modificación ni suspensión de la terapia con bifosfonatos u otros fármacos antirresortivos. Sin embargo, en procedimientos invasivos —como extracciones, cirugías o colocación de implantes— se aconseja posponer el inicio del tratamiento antirresortivo hasta la cicatrización completa de la herida quirúrgica.12

Maloclusiones en pacientes con ortodoncia

Las maloclusiones son alteraciones morfológicas y funcionales del sistema

estomatognático.13 Su abordaje se realiza mediante el tratamiento ortodóntico, cuyo objetivo es mejorar la estética, la función y la calidad de vida del paciente.14

En los tratamientos de ortodoncia, es fundamental considerar que los procesos relacionados con el metabolismo óseo permiten la remodelación del hueso alveolar, la cual es necesaria para estabilizar el órgano dental en la posición deseada y así corregir la maloclusión.15

Se ha encontrado que la osteoporosis puede afectar la velocidad de los movimientos ortodónticos. Existe una correlación directa entre un mayor número de osteoclastos y una mayor tasa de movimiento dental.16 No obstante, esta condición no representa una contraindicación absoluta para la ortodoncia en pacientes con osteoporosis.

Diversos estudios, tanto en modelos animales como en humanos, han demostrado que el tratamiento ortodóncico puede realizarse siempre que se apliquen fuerzas más ligeras que las utilizadas en pacientes sanos, evitando la presión excesiva sobre los tejidos. Esto permite un remodelado óseo progresivo, aunque implica un mayor tiempo de tratamiento.17

Asimismo, el tratamiento ortodóntico en pacientes con osteoporosis que reciben bifosfonatos puede realizarse de manera segura, siempre y cuando se sigan las consideraciones previamente mencionadas. La única precaución adicional se

presenta en los casos en los que se indiquen extracciones dentales para crear espacio. En estas situaciones, la indicación debe valorarse cuidadosamente, siguiendo las recomendaciones de la SER y de otras instituciones de salud, que aconsejan evitar, en la medida de lo posible, procedimientos invasivos.11

En algunos pacientes con ortodoncia tratados con bifosfonatos y sometidos a extracciones, se ha observado la

formación de zonas óseas escleróticas en los sitios de extracción, lo cual retrasa la tracción de los órganos dentales contiguos y dificulta el cierre del espacio.18

Conclusiones

El manejo odontológico y ortodóntico en pacientes con osteoporosis requiere una atención cuidadosa y coordinada entre los profesionales de la salud.

Manejo ortodóntico del paciente con osteoporosis

Entre las principales consideraciones se destacan las siguientes:

• Elaboración de un expediente clínico completo, que incluya antecedentes médicos, farmacológicos y odontológicos actualizados.

• Comunicación efectiva entre el odontólogo y/o ortodoncista tratante y el médico responsable del manejo sistémico del paciente.

• Comunicación clara con el paciente, verificando siempre que haya comprendido los riesgos y beneficios de los tratamientos, así como las indicaciones específicas de cada uno.

• Eliminación de factores de riesgo asociados con el desarrollo de osteonecrosis.

• Evitar procedimientos invasivos siempre que sea posible.

• Mantener un control riguroso de la placa bacteriana, mediante un seguimiento periódico y una adecuada educación en higiene bucal.

• Planificación ortodóntica cuidadosa, con la aplicación de fuerzas ligeras para la tracción de los órganos dentales.

• Eliminación de factores irritantes o de aquellos que ejerzan presión excesiva sobre los tejidos duros y blandos.

En conjunto, estas medidas contribuyen a garantizar una atención odontológica segura, efectiva y adaptada a las necesidades específicas de los pacientes con osteoporosis.

Referencias

1. Christodoulou C, Cooper C. What is osteoporosis? Postgraduate medical journal. 2003;79(929):133-8.

2. González-Arellano JA, Milla-Villeda RH, Hernández-Vera GE, Cisneros-Pérez V, Lazalde B, Reyes MR. Prevalencia de osteoporosis y osteopenia en mujeres oriundas de la ciudad de Durango, México, de 50 y más años de edad diagnosticadas por DEXA en antebrazo. Gaceta médica de México. 2007;143(5):365-9.

Manejo ortodóntico del paciente con osteoporosis

3. Arreaza Padilla R, Arreaza-Cardier R. Patogenia de la osteoporosis. Gaceta Médica de Caracas. 2002;110(4):453-64.

4. Gullberg J, Lindh C, Axtelius B, Horner K, Devlin H, Povlsen L. Osteoporosis risk assessment in primary dental care—The attitudes of Swedish dentists, patients and medical specialists. Gerodontology. 2020;37(2):208-16.

5. Wachman A, Bernstein D. Diet and osteoporosis. The Lancet. 1968;291(7549):958-9.

6. Lindsay R. The menopause and osteoporosis. Obstetrics & Gynecology. 1996;87(2):16S-9S.

7. Terán Dávila J, Teppa Garrán A, Febres C. Actualidad en el diagnóstico de la osteoporosis posmenopáusica. Revista de Obstetricia y Ginecología de Venezuela. 2007;67(2):115-26.

8. Prestwood M, Karen M, Pilbeam M, Carol C, Raisz M, Lawrence G. Treatment of osteoporosis. Annual review of medicine. 1995;46(1):249-56.

9. Watts NB. Treatment of osteoporosis with bisphosphonates. Rheumatic Disease Clinics of North America. 2001;27(1):197-214.

10. Woo S-B, Hellstein JW, Kalmar JR. Systematic review: bisphosphonates and osteonecrosis of the jaws. Annals of internal medicine. 2006;144(10):753-61.

11. Picardo SN, Rodriguez Genta SA, Rey E. Osteonecrosis maxilar asociada a bifosfonatos en pacientes osteoporóticos. Revista española de cirugía oral y maxilofacial. 2015;37(2):103-7.

12. Hernández AN, del Campo Fontecha PD, Acín MPA, Rodríguez LA, Burgos EC, Castañeda S, et al. Recomendaciones de la Sociedad Española de Reumatología sobre osteoporosis. Reumatología clínica. 2019;15(4):188-210.

13. Sousa RVD, Ribeiro GLA, Firmino RT, Martins CC, Granville-Garcia AF, Paiva SM. Prevalence and Associated Factors for the Development of Anterior Open Bite and Posterior Crossbite in the Primary Dentition. Brazilian Dental Journal. 2014;25(4):336-42.

14. Cunningham SJ, Hunt NP. Quality of Life and Its Importance in Orthodontics. Journal of Orthodontics. 2001;28(2):152-8.

15. Chugh T, Jain AK, Jaiswal RK, Mehrotra P, Mehrotra R. Bone density and its importance in orthodontics. Journal of oral biology and craniofacial research. 2013;3(2):92-7.

16. Roberts WE, Huja SS. Bone physiology, metabolism, and biomechanics in orthodontic practice. Orthodontics: Current principles and techniques 6th ed St Louis: Mosby. 2016:99-153.

17. Krishnan S, Pandian S, Kumar A. Effect of bisphosphonates on orthodontic tooth movement—an update. Journal of clinical and diagnostic research: JCDR. 2015;9(4):ZE01.

18. Tarvade SM, Daokar SG. Osteoporosis and orthodontics: a review. Scientific Journal of Dentistry. 2014;1(1):26-9.

Burnout en el ámbito sanitario del odontólogo: entre la autoexplotación y el ideal del profesionalismo

Mtro Juan M. Nieto Psicoanalista mnjuan180@gmail.com

Dra. Nieto M. Myriam Odontóloga Homeópata y Psicoterapeuta dra.nieto37@gmail.com

El trabajo en el ámbito de la salud suele estar rodeado de un halo de vocación, entrega y fortaleza, sin embargo, detrás de ese ideal se esconde con frecuencia una realidad menos visible: el malestar de quienes cuidan la salud bucal. Muchos profesionales de la salud atraviesan jornadas exhaustivas, condiciones laborales precarias y una exigencia constante de disponibilidad, pero rara vez encuentran un espacio legítimo para poner en palabras el cansancio o el desgaste que ello conlleva.

Este texto surge de la necesidad de visibilizar un fenómeno que, aunque ampliamente vivido, permanece en muchos casos silenciado por estigmas y prejuicios, el burnout. No se trata únicamente de una categoría diagnóstica, sino de una manifestación sintomática que irrumpe en el cuerpo y en la subjetividad de quienes, paradójicamente,

se han formado para cuidar del cuerpo y la salud bucal de otros.

El propósito de este trabajo es concientizar sobre la complejidad del burnout, mostrando que no se reduce a un asunto individual de resistencia personal, sino que se enmarca en condiciones estructurales y sociales que lo perpetúan. Al mismo tiempo, se busca abrir una reflexión sobre la importancia de otorgarle voz y espacio a este malestar, no solo para comprenderlo, sino también para comenzar a delinear formas más humanas y sostenibles de habitar la práctica clínica.

Conceptualización del burnout

Inicialmente un médico psiquiatra llamado Herbert Freudenberger (1974), que ejercía como voluntario en una clínica para toxicómanos en Nueva York, se percató que sus compañeros, al pasar un intervalo de uno a tres años, empezaban a desarrollar una pérdida de

energía, desmotivación, falta de interés por su trabajo, hasta llegar al agotamiento, junto con comorbilidades de ansiedad y depresión. Además, se enfrentaban a una precariedad laboral estructural, donde los horarios eran inflexibles, pero caracterizados por un número alto de horas trabajadas, un salario escaso y un contexto social exigente, tenso o comprometido (Carlin, M., & de los Fayos, E. J. G., 2010)

Aquí es donde el termino burnout nace y pasa por varias revisiones sistemáticas, entre ellas, la más aceptada es de la Dra. Christina Maslach (1981), donde comprende el burnout como un síndrome tridimensional caracterizado por el agotamiento emocional, la despersonalización (actividades y sentimientos negativos hacia las personas con las que trabaja), y la reducida realización personal.

Sin embargo, la mayoría de los autores que definen el burnout coinciden en que, si bien se trata de una compleja red sindromática y que es claramente diferente de un simple estrés laboral, en tanto a nivel patológico, las maneras en que cada sujeto responda dependerán de sus recursos de afrontamiento, a menor disponibilidad de recursos personales, mayor será la intensificación de este malestar.

A definiciones más actuales, el burnout es visto como una paradoja de la atención en la salud: el profesional de la salud se enferma en la misma medida en que este sana a los pacientes (Molina L, Avalos M, 2007), esta visión

le agrega más peso a la dimensión social, estructural, que a una más individual, relatando que a mayor volumen de trabajo, conflicto y ambigüedad de rol, mayor falta de participación y apoyo social, y experiencias de injusticia, más predisposición tendremos de desarrollarlo (Maslach y Leiter (2008)

Cabe mencionar que, si bien el burnout constituye una fuerte predisposición a desarrollar pensamientos e ideas suicidas, las afirmaciones sobre que los médicos ocupan el primer lugar y los dentistas el cuarto en tasas de suicidio se basan únicamente en generalizaciones derivadas de datos de organizaciones internacionales o de otros países Sin embargo, al revisar la literatura disponible, no se halla hasta ahora un estudio oficial en México que confirme esa afirmación específica. Lo que sí se encuentra son datos que muestran que los profesionales de la salud si tienen un riesgo mayor en desarrollar pensamientos, intentos o suicidio consumado que la población general (Jain et al., 2024).

Algunas vertientes del Burnout y prevenciones

En este sentido, el burnout puede pensarse como un síntoma de una época marcada por la autoexplotación y la precarización estructural del trabajo. Byung-Chul Han (2012) menciona que toda época tiene sus enfermedades emblemáticas, por ejemplo, actualmente no vivimos con amenazas virales, sino neuronales (burnout, depresión, ansiedad, etc.), estas enfermedades

no son por la negatividad de la otredad inmunológica, sino por un exceso de positividad, ¿qué quiere decir esto?

Nuestro cuerpo siempre se ha defendido de cosas externas, por ende, lo negativo es una amenaza, en este sentido, podríamos vacunarnos de un pedacito inofensivo de lo “otro” (virus debilitado), para que nuestro cuerpo lo niegue y aprenda a defenderse; sin embargo, ya no es el otro quien enferma, sino el “mismo”, lo idéntico, uno mismo se explota, se sobrecarga y se violenta, y esto es producto del exceso de positividad, demasiada presión interna, demasiado rendimiento.

Esto nos indica una forma de control más efectiva, ya que, se nos ha educado a negar o restarle importancia a “lo externo”, de lo cual tiene un impacto individual, ejemplos varios como las condiciones laborales tanto de manera independiente como pública, condiciones materiales precarias como lo son los costos elevados de los materiales dentales, rentas excesivas de sus consultorios, conflictos legales por negligencia o con pacientes problemáticos, actualizaciones constantes en el campo, exigencias o necesidades familiares y/o personales y todo, para sostener la imagen del “cuidador perfecto”, así, lo que parece una vocación termina revelando su reverso, una servidumbre que no tiene un amo visible, porque es el propio ideal del sujeto que lo domina.

Para reforzar esta otra perspectiva en la que se puede leer este fenómeno,

y que como vimos, solo revela la inscripción de un malestar ligado a la imposibilidad de sostener la demanda incesante de productividad, podríamos pensar así, que el síntoma aparece cuando el trabajador se confronta con la imposibilidad de responder al llamado constante de un otro que exige más allá de lo humanamente posible. En este sentido, lo que se nombra como “desgaste” puede leerse también como la huella de un goce que no cesa, donde el cuerpo mismo termina siendo el lugar donde se inscribe esa imposibilidad estructural (Lacan, 1960).

En los profesionales de la salud, esta dinámica adquiere su carácter especialmente trágico. El ideal del Yo se encarna en la figura del cuidador, del que debe estar siempre disponible para sanar y sostener. Médicos, enfermeros, dentistas, psicólogos, terminan ocupando un lugar de objeto para el otro, véase como el paciente, la institución o incluso la sociedad entera, esta identificación con el ideal los arrastra a responder a demandas infinitas, sacrificandose a sí mismos más alla de sus límites, deseos y necesidades (Lacan, 1966). El burnout se configura entonces como un síntoma de este sacrificio desmedido, donde el sujeto queda atrapado como mencionamos, en la paradoja de cuidarse cada vez menos en nombre de cuidar a los demás (Lacan, 1975).

En este sentido, el burnout puede leerse como una manifestación clínica de un goce mortífero, el profesional se consume en el cumplimiento de un mandato imposible, goza en la renuncia, pero ese goce le lleva al agotamiento, a la enfermedad, al vaciamiento subjetivo (Lacan, 1975). Si el superyó contemporáneo ordena: “¡Rinde, ayuda, sé productivo, sé indispensable!”, el sujeto lo obedece hasta la extenuación.

Así, el burnout no solo refleja una fatiga individual, sino la huella de un entramado social y estructural que impone demandas insostenibles, la precariedad laboral, las expectativas institucionales y la identificación con

el Ideal del cuidador confluyen para producir un síntoma que se inscribe en el cuerpo y la subjetividad. Comprenderlo desde esta perspectiva permite visibilizar que no se trata únicamente de “resistencia personal”, sino de la necesidad de repensar las condiciones que sostienen esta sobrecarga, ofreciendo una lectura que es a la vez clínica, social y ética.

Pero, entonces, ¿qué contrapeso podemos poner en práctica ante esta percepción de que la vida solo esta medida en términos de rendimiento y perfección en el trabajo?

Nuevamente, Han (2024) propone que en esta época en donde todo debe ser útil y rentable, recuperar lo “inútil” y lo “contemplativo” es un gesto de resistencia, incluso metiéndose en terrenos éticos, hay una disposición en la que no imponemos o forzamos nuestra voluntad, y que reconocemos que las cosas tienen su propio modo de mostrarse, es un “hacer” distinto, no productivo, no orientado a un fin inmediato, que en este sentido, podemos permitir al profesional reapropiarse de su tiempo, de su cuerpo y de su experiencia.

Lejos de proponer recetas de productividad o estrategias de “gestión del estrés”, lo que aquí se sugiere es más bien abrir estos pequeños espacios de resistencia, pueden pensarse como actividades de contemplación al aire libre, espacios de silencio, no pensándose como “desconexión” para hacer pendientes, sino para habitar

Burnout en el ámbito sanitario del odontólogo: entre la autoexplotación y el ideal del profesionalismo

el silencio, substraerse aunque sea por momentos, del ruido de la productividad, para reencontrarse con la posibilidad de contemplar, pensar y simplemente estar, generar espacios compartidos con colegas sin hablar de pacientes, aceptar el límite a demandas imposibles, véase como el autoexigirse para ganar más y revalorizar la experiencia, donde estos momentos ocurran por sí misma, sin forzarlas.

Estos gestos representan una idea básica e introductoria de prevención y sostén, que permiten al profesional de la salud recuperar algo del equilibrio, vitalidad y sentido en su práctica cotidiana, donde la experiencia se piense desde el encuentro con uno mismo y con los otros.

Palabras clave: odontólogo, burnout, ansiedad, depresión, estrés, estrés laboral, autoexploración, prevención, suicidio.

Referencias

1. Byung-Chul (2012). La sociedad del cansancio. (A. Saratxaga Arregi, trad.). Herder

2. Carlin, M., & de los Fayos, E. J. G. (2010). El síndrome de burnout: Evolución histórica desde el contexto laboral al ámbito deportivo. Anales de Psicología/Annals of Psychology, 26(1), 169-180.

3. Freudenberger, H. J. (1974). Staff burnout. Journal of Social Issues, 30(1), 159165.

4. Jain, L., Sarfraz, Z., Karlapati, S., Kazmi, S., Nasir, M. J., Atiq, N., Ansari, D., Shah, D., Aamir, U., Zaidi, K., Zubair, A. S., & Jyotsana, P. (2024). Suicide in healthcare workers: An umbrella review of prevalence, causes, and preventive strategies. Journal of Primary Care & Community Health, 15, 1–18. https://doi.org/10.1177/21501319241273242

5. Maslach, C. (1976). Burned-out. Human Behavior, 5, 16-22.

6. Maslach, C. y Leiter, M. P. (2008). Early predictors of job burnout and engagement. Journal of Applied Psychology, 93, 498-512.

7. Molina Linde, J. M. y Avalos Martínez, F. (2007). Satisfacción laboral y desgaste profesional del personal de enfermería. Revista Tesela, 1(1).

8. Lacan, J. (1960/1992). El seminario. Libro 7. La ética del psicoanálisis. Paidós.

9. Lacan, J. (1966/2005). "La ciencia y la verdad". En Escritos 2. Siglo XXI.

10. Lacan, J. (1975/2006). El seminario. Libro 20. Aún. Paidós.

Estado de salud periodontal en usuarios de metanfetamina y opioides: una revisión sistemática Parte 2

Estado de salud periodontal en usuarios de metanfetamina y opioides: una revisión sistemática

Sánchez-Muñoz Fabiola. Suárez-Vaquera Frida. Vázquez Honorato Juan Arturo. Guerra Barberena Ana Lilia. Universidad Nacional Autónoma de México, Licenciatura en Odontología, Escuela Nacional de Estudios Superiores Unidad León, León Guanajuato, México.

Corresponding Author:Ana Lilia Guerra Barberena, aguerrab@enes.unam.mx

Siguiendo las recomendaciones PRISMA para revisiones sistemáticas, se identificaron las manifestaciones de la enfermedad periodontal en consumidores de opioides y se analizaron para determinar si existe un vínculo entre el estado de salud periodontal y el consumo. Los datos extraídos sobre opioides y enfermedad periodontal fueron recopilados de las bases de datos PubMed, ScienceDirect y Elicit.

En el análisis cualitativo de la información publicada sobre el estado de salud periodontal, se observó que los consumidores de opioides presentan una alta prevalencia de enfermedad periodontal (EP). Además, se identificó una posible relación entre la gravedad de la enfermedad y la cantidad de opioides consumidos.

Palabras clave: periodontal disease, opioids, methamphetamine, periodontitis, Opioid-related disorders.

Noviembre 2025

Investigación clínica

Autor, año Shekarchizadeh et al. (2019)

Población 217 usuarios de opioides en tratamiento (98% hombres, 5 mujeres).

Intervención

Exámenes intraorales (DMFT y CPI), entrevistas y análisis estadísticos en los mismos pacientes.

Comparación Usuarios de opioides de dos áreas socioeconómicas distintas.

Parvaei et al. (2023) Spolsky et al. (2020)

240 pacientes (120 casos y 120 controles) en 2021, remitidos a centros de tratamiento de adicciones y a la clínica dental de Birjand, Irán. Edades: 20-40 años, con adicción a opiáceos entre 1 y 4 años.

Examen periodontal midiendo la pérdida de inserción clínica (CAL) en 6 puntos de cada diente (excepto terceros molares) con la sonda de William. Se recogió y analizó saliva estimulada para evaluar la urea salival. Para recoger la saliva estimulada, se pidió a cada participante que masticara un trozo de dique de goma sin sabor durante 1 minuto para recoger su saliva en un tubo falcon calibrado entre las 9:00 y las 12:00 h. Las muestras de saliva se refrigeraron a 4 °C para la urea salival.17 La concentración salival estimulada se observó y registró en el halcón calibrado. Las muestras salivales se analizaron para evaluar la urea salival (Roche Diagnostics Pvt Ltd®, India).

546 usuarios de opioides (metanfetamina). 91.6% mayores de 30 años.

Evaluaciones periodontales: recesión gingival (RG) medida en mm desde el margen gingival libre hasta la unión cemento-esmalte, y profundidad de sondaje (PD) desde el margen gingival libre hasta la base del surco gingival.

Hallazgos El 66% de los consumidores presentó bolsas profundas, 15% cálculo y 8% sangrado. El estudio reveló un mal estado de salud bucal en los dependientes de opiáceos. La pérdida dental fue la mayor manifestación de caries en estos pacientes, y ninguno tenía un periodonto saludable.

120 personas fueron asignadas al grupo de casos y se seleccionaron entre pacientes remitidos a centros de tratamiento de adicciones y 120 personas también fueron asignadas al grupo de control, y se seleccionaron entre pacientes que visitaron el Departamento de Periodoncia de la Facultad de Odontología y la Clínica Dental Samen de Birjand en 2021.

Usuarios de opioides de distintas etnias (afroamericanos, hispanos, blancos y otros), además de clasificar el consumo en leve, moderado o alto.

Tabla 1. Características de los estudios

Mayor prevalencia de periodontitis en el grupo de usuarios de opioides: periodontitis moderada (32.5%) vs. 20.8% y periodontitis grave (27.5%) vs. 9.2% en el grupo control. No hubo relación significativa entre el índice de flujo salival estimulado y la gravedad de la periodontitis (p>0.05).

En general, se clasificó a los participantes del estudio de a cuerdo a distintos grupos, uno de ellos de acuerdo a la gravedad de la enfermedad periodontal y frecuencia de consumo de opioides (metanfetamina), en la cual la periodontitis moderada-grave tuvo una prevalencia que osciló entre el 56%.

Estado de salud periodontal en usuarios de metanfetamina y opioides: una revisión sistemática

Siguiendo la metodología PICOS, en la Tabla 1 se extrajeron los datos generales de cada estudio, incluyendo la población analizada, el tipo de intervención, la existencia de un grupo de comparación y los hallazgos principales.

A partir de esta información, se construyó la Tabla 2, en la que se identificaron los datos necesarios para responder a la pregunta de investigación. Se registraron variables demográficas como la edad, el sexo y el nivel de escolaridad de los consumidores, así como otras variables clave: el tipo de opioide consumido, la frecuencia de uso y las manifestaciones de enfermedad periodontal. Además, se documentó la metodología utilizada para la evaluación clínica en cada estudio.

Todos los artículos especificaron el tamaño de la muestra, incluyendo la cantidad de participantes, su género y rango de edad. Por lo tanto, el 100% de los artículos seleccionados cumplen con este criterio.

En cuanto a los tipos de opioides consumidos por los participantes, dos de los estudios los especificaron claramente en sus artículos, lo que representa una cobertura del 75% en este parámetro.

Solo uno de los artículos detalló explícitamente la forma en que fueron seleccionados los participantes. Los otros dos mencionan el proceso de selección, pero sin un compromiso claro de participación como en el estudio que mejor lo describe.

Respecto a la metodología empleada, únicamente una tercera parte de los artículos hace una mención específica de los aparatos utilizados, además del tipo de información recabada durante los interrogatorios entre el operador y los participantes.

Ninguno de los artículos menciona haber realizado seguimiento a los participantes o a la investigación, por lo que este parámetro no se cumple en ninguno de los estudios incluidos.

Todos los artículos describen cuantitativamente las manifestaciones clínicas y los hallazgos, por lo que este criterio se encuentra cubierto en el 100% de los estudios seleccionados.

En cuanto a la concordancia metodológica, los tres artículos presentan coincidencias claras en su enfoque.

Solo uno de los tres artículos mencionó haber realizado una verificación del consumo de opioides en los participantes. Los otros dos afirman que los participantes estaban en tratamiento para dejar el consumo, pero no presentan una confirmación de este. Por ello, solo una tercera parte de los estudios cumple con este parámetro.

Finalmente, el 100% de los artículos incluidos presentan resultados parciales. Si bien especifican los hallazgos, no se pueden considerar valores completamente concluyentes, por lo que este parámetro no se asigna como positivo o total.

Investigación clínica

Autor, año

Parvaei et al. (2023)

Tipo de estudio

Case-control study.

Tamaño de muestra

Edad y sexo de pacientes

Tipos de opioide

Spolsky et al. (2018) cross-sectional study.

Se realizó en 240 pacientes (120 casos y 120 controles) en 2021 remitidos a centros de tratamiento de adicciones y a la clínica dental de Birjand, en Irán.

Se realizaron evaluaciones periodontales a 546 adultos. el 8.4% eran menores de 30 años, el 91.6% tenían 30 años o más. 80.6% de los pacientes son masculinos.

Shekarchizadeh et al. (2019) Cross-sectional study. 217 participantes (98% hombres, 2% mujeres).

Edad media de entre 20-40 años.

Metadona, extracto de opio, opio, metanfetamina.

Tiempo y frecuencia de uso

Escolaridad de los pacientes

Manifestaciones clínicas de EP en los consumidores

91.6% ≥ 30 años; 8.4% < 30 años. Sexo: 80.6% hombres, 19.4% mujeres.

Metanfetamina y tabaquismo.

Adicción a opioides durante al menos 1 año. Clasificación por tiempo de uso: 1-2 años, 2-4 años y más de 4 años.

Consumo de metanfetamina: Ligero: <10 días en los últimos 30 días. Moderado: 10-15 días en los últimos 30 días. Intenso: ≥16 días en los últimos 30 días.

Se recopiló información sobre nivel de escolaridad, pero no se reportan datos específicos.

Examen periodontal con la sonda de William, midiendo la pérdida de inserción clínica (CAL) en seis puntos por diente (excepto terceros molares). Clasificación: Periodontitis leve (CAL = 1-2 mm), moderada (CAL = 3-4 mm) y grave (CAL ≥ 5 mm). Prevalencia en consumidores: moderada (32.5%) vs. 20.8% en el grupo control; grave (27.5%) vs. 9.2% en el grupo control.

Nivel educativo: Menos de bachillerato: 29.8%. Bachillerato: 35.2%. Más de bachillerato: 35.2%.

Pérdida de inserción: 2.66 ± 0.049 mm. Sangrado al sondaje: Reportado. Recesión gingival: -0.25 ± 0.038 mm. Profundidad al sondaje: 2.38 ± 0.025 mm.

Edad media: 43.6 años (rango: 21-79 años).

Opio (70%), heroína cristalina (22%).

Edad media de inicio de consumo: 25.2 años (rango: 11-67 años). Media de años de dependencia: 12.1 años.

Discusión

Únicamente en el estudio realizado por Parvin Parvaei, Marzie Eydzadeh y Freshteh Osmani (2023) se incluyó un grupo control con número y características demográficas similares al grupo de casos. En los otros dos estudios, las manifestaciones de enfermedad periodontal se evaluaron exclusivamente en consumidores de opioides.

En el estudio de Shekarchizadeh, H., Khami, M. R., Mohebbi, S. Z., Ekhtiari,

el 87% tenía al menos educación primaria.

Exámenes clínicos orales con luz de unidad dental y sondas CPI. Resultados: Ningún paciente dentado tenía periodonto sano. Bolsas periodontales superficiales (66%), cálculo (15%), bolsas profundas (11%) y sangrado (8%). Mayor edad y inicio temprano del consumo se asociaron con mayor prevalencia de bolsas periodontales. No se encontró asociación entre la enfermedad periodontal y el abuso de drogas (p>0.05).

H. y Virtanen, J. I. (2019), se contó con una población de 217 consumidores, de los cuales el 98% eran hombres. Ninguno presentó un periodonto sano; el 66% de los consumidores tuvo bolsas profundas, el 15% presentó cálculo y el 8% sangrado.

Los hallazgos de Parvin Parvaei, Marzie Eydzadeh y Freshteh Osmani (2023) indican que los consumidores de opioides presentan una mayor prevalencia de enfermedad periodontal en comparación con el grupo control, con una diferencia

Tabla 2. Evaluación metodológica de los estudios con el sistema GRADE.

Sample calculation

1 = unspecified/ pilot study, design

2 = Present

Randomization

0 = Not present, 1 = Not clear, 2 = Present (homogeneous groups)

Estado de salud periodontal en usuarios de metanfetamina y opioides: una revisión sistemática

Randomization (method)

0 = unsuitable/ not described, 1 = adequate

Blinding

0 = Not described, 1 = Not clear/ inappropriate, 2 = present and described

Follow-up

0 = incomplete, 1 = intention to treat/other methods of analysis, 2 = full

Response variable

0 = qualitative subjective, 1 = qualitative objective, 2 = quantitative

Concordance of measuring method

0 = Not present, 1 = Not clear, 2 = present/ testing laboratory

Assumptions of the statistical test

0 = Not present, 1 = Not clear/ categorical data, 2 = present and described

Results 0 = incomplete, 1 = complete

del 18.3% en la prevalencia de periodontitis severa (27.5% frente al 9.2%).

Según los datos obtenidos por Vladimir W. Spolsky et al. (2018), podría existir una relación entre la cantidad de consumo de metanfetamina y la gravedad de las manifestaciones de enfermedad periodontal. Los participantes fueron clasificados según su consumo de metanfetamina en dos grupos: ligero y medio-alto. Se observó una mayor prevalencia de enfermedad periodontal en el grupo con

consumo medio-alto en comparación con el grupo de consumo ligero: un 51.7% frente a un 57.2% en enfermedad periodontal moderada y un 19.8% frente a un 25.3% en enfermedad periodontal severa.

En todos los estudios analizados, los consumidores de opioides fueron identificados como personas con trastornos de adicción a esta y otras sustancias. Por ello, es imposible determinar si las manifestaciones de enfermedad periodontal tienen una relación directa con

Tabla 3. Evaluación metodológica de los estudios con el sistema GRADE

Investigación clínica

Cálculo de la muestra

Aleatorización

Método de aleatorización

Blinding

Seguimiento

Variable de respuesta

Concordancia del método de medición

Supuesto de la prueba estadística

Resultados

el consumo de opioides. Sin embargo, los hallazgos permiten identificar una mayor prevalencia de manifestaciones de enfermedad periodontal, como la pérdida de inserción, en usuarios de opioides y otras sustancias en comparación con no consumidores.12

Adicionalmente, se observa una deficiente salud periodontal en personas con opiodependencia, lo que puede estar relacionado con múltiples factores. Manifestaciones como la pérdida de inserción presentan una alta prevalencia en este grupo.13

Conclusiones

La investigación concluyó que la dependencia al consumo de opioides o su uso excesivo en la población tiene efectos

negativos en la salud periodontal. Se identificaron manifestaciones como bolsas periodontales, alta acumulación de cálculo, inflamación y sangrado gingival, todas con una alta prevalencia.

Además, se sugiere una posible relación entre la cantidad de consumo y la severidad de la enfermedad periodontal.

Agradecimientos

Se agradece a la Escuela Nacional de Estudios Superiores León, UNAM, por incentivar al alumnado de la Licenciatura en Odontología a adentrarse en el mundo de la investigación.

Declaración de conflicto de intereses: La presente revisión sistemática no presenta conflictos de intereses.

Riesgo bajo de sesgo Riesgo de sesgo poco claro Riesgo alto de sesgo
Figura 3. Resumen de riesgo de sesgo

Estado de salud periodontal en usuarios de metanfetamina y opioides: una revisión sistemática

¿Fue específico en el tamaño de la muestra?

¿Se describieron claramente los tipos de opioides consumidos por los participantes?

Se especifica la forma en la que se invitó a los participantes a formar parte de la investigación?

¿La metodología de examinación fue cuantificable y hecha con base en índices, criterios o parámetros establecidos usando el material adecuado?

¿Existió seguimiento?

¿Las manifestaciones clínicas fueron evaluadas cuantitativamente?

¿Se especificó el método de medición empleado y fue claro?

¿Se describió el método por el que se confirmó el consumo de opioides?

¿Se mencionaron los resultados de la investigación completos?

Referencias

1. Chapple ILC, Mealey BL, Van Dyke TE, Bartold PM, Dommisch H, Eickholz P, et al. Periodontal health and gingival diseases and conditions on an intact and a reduced periodontium: Consensus report of workgroup 1 of the 2017 World Workshop on the Classification of Periodontal and Peri-Implant Diseases and Conditions. J Periodontol. 2018;89(December 2017):S74–84.

2. Mariotti A, Hefti AF. Defining periodontal health. BMC Oral Health. 2015;15(1):1–18.

3. G. Caton J, Armitage G, Berglundh T, Chapple ILC, Jepsen S, S. Kornman K, et al. A new classification scheme for periodontal and peri-implant diseases and conditions – Introduction and key changes from the 1999 classification. J Clin Periodontol. 2018;45(March):S1–8.

Shekarchizadeh et al. (2019) Parvaei et al. (2023) Spolsky et al. (2018)
Tabla 4.

Investigación clínica

4. Pacheco CMF, Queiroz-Junior CM, Maltos KLM, Pacheco DF, Silva TA, Albergaria JDS. Endogenous opioids regulate alveolar bone loss in a periodontal disease model. Life Sci [Internet]. 2013;93(12–14):471–7. Available from: http://dx.doi.org/10.1016/j.lfs.2013.08.007

5. Trescot AM, Datta S, Lee M, Hans H. Opioid pharmacology. Pain Physician. 2008;11(SPEC. ISS. 2):133–54.

6. Strang J, Volkow ND, Degenhardt L, Hickman M, Johnson K, Koob GF, et al. Opioid use disorder. Nat Rev Dis Prim [Internet]. 2020;6(1). Available from: http://dx.doi.org/10.1038/s41572-019-0137-5

7. Mielau J, Vogel M, Gutwinski S, Mick I. New Approaches in Drug Dependence: Opioids. Curr Addict Reports. 2021;8(2):298–305.

8. Schroeder AR, Dehghan M, Newman TB, Bentley JP, Park KT. Association of Opioid Prescriptions from Dental Clinicians for US Adolescents and Young Adults with Subsequent Opioid Use and Abuse. JAMA Intern Med. 2019;179(2):145–52.

9. Dai Z, Abate MA, Groth CP, Rucker T, Kraner JC, Mock AR, et al. Fentanyl and other opioid involvement in methamphetamine-related deaths. Am J Drug Alcohol Abuse [Internet]. 2022;48(2):226–34. Available from: https://doi.org/10.1080/00952990.2021.1981919

10. Kevil, C. G., Goeders, N. E., Woolard, M. D., Bhuiyan, Md. S., Dominic, P., Kolluru, G. K., Arnold, C. L., Traylor, J. G., & Orr, A. W. (2019). Methamphetamine Use and Cardiovascular Disease. Arteriosclerosis, Thrombosis, and Vascular Biology, 39(9), 1739–1746. https://doi.org/10.1161/ atvbaha.119.312461

11. Kevil, C. G., Goeders, N. E., Woolard, M. D., Bhuiyan, Md. S., Dominic, P., Kolluru, G. K., Arnold, C. L., Traylor, J. G., & Orr, A. W. (2019). Methamphetamine Use and Cardiovascular Disease. Arteriosclerosis, Thrombosis, and Vascular Biology, 39(9), 1739–1746. https://doi.org/10.1161/ atvbaha.119.312461

12. Aguayo-albasini L, Vı BF pastor. Sistema GRADE : clasificación de la fuerza de la evidencia y graduación recomendación. Cirugía Española. 2016;92(2):82–8.

13. J. Clague, T.R. Belin, V. ShettyMechanisms underlying methamphetamine-related dental diseaseJ. Am. Dent. Assoc. (1939), 148 (6) (2017), pp. 377-386, 10.1016/j.adaj.2017.02.054

14. Spolsky VW, Clague J, Murphy DA, Vitero S, Dye BA, Belin TR, et al. Periodontal status of current methamphetamine users. J Am Dent Assoc [Internet]. 2018;149(3):174–83. Available from: https://doi.org/10.1016/j.adaj.2017.10.017

15. Parvaei P, eydzadeh M, Osmani F. Can the salivary urea and stimulated saliva concentration be a marker of periodontal diseases in opioid users? A case-control study. Heliyon [Internet]. 2023;9(7):e17093. Available from: https://doi.org/10.1016/j.heliyon.2023.e17093

16. 16. Shekarchizadeh H, Khami MR, Mohebbi SZ, Ekhtiari H, Virtanen JI. Oral health status and its determinants among opiate dependents: A cross-sectional study. BMC Oral Health. 2019;19(1):3–9.

Introducción: El traumatismo dental es una de las causas más urgentes de consulta odontológica, afecta principalmente a niños provocando pérdida prematura de dientes. Reporte de caso: Paciente femenino de 20 años, quien fue tratada mediante tratamiento de ortodoncia para la corrección de maloclusión clase II con apiñamiento severo y transposición dentaria para camuflar la pérdida de ambos incisivos centrales superiores. Discusión: considerando la edad de la paciente y

el motivo de consulta, la sustitución con incisivos laterales y lateralización de caninos muestra resultados estables. Conclusión: la sustitución con incisivos laterales y lateralización de caninos, incluyendo el camuflaje de clase II división I, pueden ayudar a los pacientes a mejorar la apariencia de su sonrisa y recuperar su autoestima.

Palabras clave: traumatismo dental, transposición dental, camuflaje.

Reposicionamiento dental con tratamiento de ortodoncia en paciente clase II debido a traumatismo: reporte de caso.

La maloclusión esquelética de clase II puede deberse a retrognatia mandibular, prognatismo maxilar o a una combinación de ambos. La modalidad de tratamiento de esta maloclusión esquelética, cualquiera sea el escenario mencionado anteriormente, depende de la edad, considerando el potencial de crecimiento del individuo. Antes de definir el tratamiento, la etiología de la maloclusión debe tener la máxima prioridad en la planificación, con el fin de minimizar el factor de recidiva.1 La maloclusión de clase II se puede tratar por varios medios según las características asociadas a los problemas, como la discrepancia anteroposterior, la edad y el cumplimiento del paciente.2

En adultos con maloclusión esquelética grave que involucra una mandíbula deficiente, la cirugía ortognática es a menudo el tratamiento posible. Sin embargo, en pacientes de clase II con discrepancias esqueléticas de leves a moderadas, la compensación dental es el tratamiento de elección.2

Por otro lado, el traumatismo dental es una de las emergencias odontológicas más comunes, afectando tanto a niños como a adultos. Este tipo de lesión puede variar desde fracturas menores en los dientes hasta la pérdida completa de una pieza dental, y a menudo ocurre como resultado de accidentes deportivos, caídas o golpes en la región oral.3 Los estudios epidemiológicos muestran que

C.D. Valeria Muñoz Balboa.1

C.D.E.O. Dinorah Munira Hernández Santos.2

Dra. Jacqueline Adelina Rodríguez Chávez.3

Dr. José Luis Meléndez Ruiz.4

Dr. Victor Omark Moreno Martínez.5

Mtro. Daniel Villanueva Betancourt.6

1Alumna de la Especialidad en Ortodoncia. Departamento de Clínicas Odontológicas

Integrales. Centro Universitario de Ciencias de la Salud. Universidad de Guadalajara.

2 Egresada de la Especialidad en Ortodoncia. Departamento de Clínicas Odontológicas

Integrales. Centro Universitario de Ciencias de la Salud. Universidad de Guadalajara.

3Profesora de la Especialidad en Ortodoncia. Departamento de Clínicas Odontológicas

Integrales. Centro Universitario de Ciencias de la Salud. Universidad de Guadalajara.

4Coordinador y Profesor de la Especialidad en Ortodoncia. Departamento de Clínicas Odontológicas Integrales. Centro Universitario de Ciencias de la Salud. Universidad de Guadalajara.

5Profesor de la Especialidad en Ortodoncia.

Departamento de Clínicas Odontológicas

Integrales. Centro Universitario de Ciencias de la Salud. Universidad de Guadalajara.

6Profesor de la Especialidad en Ortodoncia. Departamento de Clínicas Odontológicas

Integrales. Centro Universitario de Ciencias de la Salud. Universidad de Guadalajara.

Extraorales: Frente y perfil. B) Intraorales: oclusales, laterales y sobremordidas.

entre el 10.5% y el 17.3% de las personas sufren lesiones traumáticas en sus dientes. Estas lesiones pueden ocurrir a cualquier edad, pero los jóvenes de 11 a 15 años son el grupo más afectado, representando aproximadamente el 13% de los casos.4 Los incisivos centrales maxilares son los más comúnmente afectados (84%), seguidos de los incisivos centrales mandibulares (75%), los incisivos laterales maxilares (4,5%) y los caninos maxilares (3%)5 La lesión por intrusión suele estar asociada con daños graves en el diente, los tejidos de la encía, el hueso alveolar y los tejidos pulpares.5

Este tipo de lesiones se tratan de acuerdo con diferentes protocolos según la etapa de desarrollo de la raíz. Las opciones son: reposicionamiento pasivo (donde simplemente se permite que el diente vuelva a erupcionar), reposicionamiento ortodóntico y reposicionamiento quirúrgico.6

El reposicionamiento dental con ortodoncia es un tratamiento comúnmente utilizado para corregir la mala alineación de los dientes y mejorar la función y estética de la sonrisa. Este procedimiento implica la aplicación de fuerzas controladas a través de aparatos ortodónticos, como brackets o alineadores, que permiten mover los dientes de manera gradual hacia una posición óptima. El tratamiento no solo mejora la apariencia dental, sino que también contribuye a una mejor salud bucal al corregir problemas como maloclusión, apiñamiento o mordida cruzada.7

Los pacientes con dientes faltantes pueden sufrir una capacidad masticatoria reducida, pronunciación inarticulada y apariencia estética desfavorable que en última instancia afecta su comportamiento comunicativo, autoestima y desempeño profesional.6 El manejo de los dientes faltantes, especialmente los incisivos centrales, es el cierre utilizando caninos como sustitución (incisivos laterales y mesialización de caninos) o la creación de espacio ortodóncicamente para el reemplazo protésico de los incisivos centrales faltantes. Como los dientes faltantes se encuentran en la región estética, se

Figura 1. Fotografías iniciales. A)

requiere un enfoque interdisciplinario que incluya especialistas en ortodoncia, prostodoncia, odontología operatoria y periodoncia.4

La extracción de los incisivos centrales superiores no es común en ortodoncia. Sin embargo, los incisivos centrales con un mal pronóstico podrían ser los dientes de elección para la extracción. El tipo de oclusión, los requisitos de espacio, la forma, el tamaño y la altura de la raíz de los incisivos laterales y los caninos juegan un papel importante en la planificación del tratamiento para extraer los incisivos centrales.6

El enfoque principal para la resolución de tales problemas, especialmente en

arcadas dentales apiñadas o donde hay un mayor requerimiento de espacio como en la proinclinación bimaxilar, sería el tratamiento de ortodoncia y el cierre del espacio anterior mediante la sustitución de los incisivos centrales maxilares.7

El objetivo de este artículo es presentar un caso clínico del reposicionamiento dental con tratamiento de ortodoncia en una paciente clase II debido a un traumatismo.

Reporte del caso

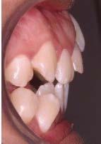
Paciente femenina de 20 años que acude a la clínica de ortodoncia con el motivo de consulta “me incomoda el diente de enfrente y eso influye bastante

en mi personalidad”. Como antecedentes médicos y familiares refiere 2 traumatismos fuertes en su infancia que causaron avulsión de los dientes 11 y 21, clicking y crepitus en la articulación temporomandibular (ATM).

En su análisis facial la paciente presentó un perfil convexo con un tercio inferior aumentado, patrón dolicocefálico severo de VERT, sonrisa gingival e incompetencia labial (Figura 1 A). Durante la exploración intraoral encontramos mordida abierta anterior con apiñamiento severo superior (-13mm) e inferior (-11.5mm), líneas medias desviadas y no coincidentes con la línea media facial, el diente 11

mutilado y con tratamiento de conducto inconcluso, overbite -3mm y overjet 8mm (Figura 1 B).

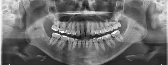
En la ortopantomografía se observó asimetría de las ramas mandibulares, reabsorción radicular severa del diente 21, extrusión de incisivos inferiores y presencia de los dientes 18, 28 y 48 (Figura 2 A). La radiografía lateral de cráneo nos permitió realizar el análisis cefalométrico de Ricketts en el cual se confirmó la clase II esqueletal, el biotipo dolicofacial y la retrusión mandibular (Figura 2 B y C y Tabla 1).

Como objetivos del tratamiento se estableció mejorar el perfil, mejorar la sonrisa, liberar el apiñamiento, lograr clase I canina (premolar) y clase I molar; como alternativa de tratamiento se ofreció realizar cirugía ortognática y rehabilitación con implantes.

La paciente fue tratada con aparatología fija MBT slot 0.022”, se utilizaron bandas en primeros molares superiores e inferiores y tubos en segundos molares superiores, se realizaron extracciones de los dientes 11, 21, 34 y 44. Se colocaron los brackets de centrales en laterales, los de laterales en caninos y los de caninos en premolares.

En la fase de alineación se utilizó una secuencia de arcos comenzando con el arco 0.012” NiTi, 0.014” NiTi y 0.016” Niti. Se realizó la tracción del diente 21 y se mantuvo en boca hasta comenzar la fase de trabajo, posteriormente se realizó la extracción (Figura 3).

Figura 2. Radiografía ortopantomografía y lateral de cráneo.

Durante la fase de trabajo se realizaron sets de intrusión y utilización de close coil; una vez cerrado el espacio entre los incisivos laterales, se indicó el uso de elásticos de clase III 3/16 4.5 oz para corregir la mordida borde a borde (Figura 4).

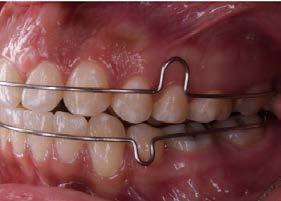
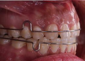
Se remitió a la especialidad en prostodoncia para valoración, indican abrir espacios en anteriores para su posterior restauración. Se retiró aparatología fija y se entregó retención con circunferenciales y fijo inferior (Figura 5).

Posteriormente se remitió a la especialidad de periodoncia y prostodoncia para su rehabilitación final con un reposicionamiento del frenillo superior y carillas de 3-3.

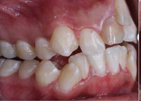
Como resultado se logró cumplir con los objetivos establecidos al inicio del tratamiento, se liberó el apiñamiento y se logró hacer el cierre de la mordida anterior (Figura 6A), así como la

mejora en la estética de la sonrisa lo cual impacto positivamente en la autoestima de la paciente. Se estableció una clase I molar y canina, se obtuvo un correcto overjet y overbite, las líneas medias coincidieron y se establecieron correctas guías anteriores (Figura 6B).

En la ortopantomografía se puede apreciar el cierre de la mordida abierta anterior y la preservación de las longitudes radiculares en general (Figura 7A). En la radiografía lateral de cráneo y superposición final se puede observar la mejora general del perfil de la paciente y de sus inclinaciones dentales (Figura 7 B-D) (Tabla 1).

Discusión

El presente reporte de caso destaca el manejo exitoso de una maloclusión clase II en una paciente de 20 años, resultante de traumatismos dentales en la infancia que llevaron a la avulsión de

3. Fotografías intraorales de avance con el central aun en boca.

Figura 4. Fotografías intraorales de avance con close coil y elásticos.

Figura

los incisivos centrales superiores. La paciente se presentó con apiñamiento severo y un impacto significativo en su autoestima debido a la estética dental comprometida.

Considerando la edad de la paciente y su principal motivo de consulta, la estrategia de tratamiento se centró en el reposicionamiento dental mediante ortodoncia. La sustitución de los incisivos centrales perdidos con los incisivos laterales y la mesialización de los caninos demostraron ser una alternativa viable para mejorar la función y la estética dental. Esta opción de tratamiento ofrece una solución efectiva para casos similares, permitiendo mejorar la apariencia de la sonrisa y recuperar la autoconfianza del paciente.

De acuerdo con Baxi y cols.8 la extracción asimétrica de dientes permanentes es de gran ayuda para la mejoría de la corrección del apiñamiento y la coincidencia de las líneas

medias dentales, así como en la paciente presentada el plan de tratamiento integral incluyó la extracción asimétrica de los dientes 11, 21, 34 y 44, seguido de la colocación de brackets y arcos secuenciales para alinear y nivelar la dentición. Se utilizaron mecánicas de intrusión y elásticos de clase III para corregir la mordida. Este enfoque multidisciplinario, que incluyó la valoración por prostodoncia, periodoncia y la posterior rehabilitación con carillas, fue crucial para lograr un resultado estético y funcional óptimo.

De acuerdo con Prakas y cols.2 en casos de maloclusiones esqueléticas leves a moderadas, el camuflaje dental representa una opción de tratamiento adecuada realizando la extracción de primeros premolares superiores e inferiores, lo que concuerda con el caso presentado en donde se realizaron las extracciones de los primeros molares inferiores para realizar el camuflaje.

Extraorales: Frente y perfil. B) Intraorales: oclusales, laterales y sobremordidas.

Figura 5. Fotografías intraorales con retenedores.
Figura 6. Fotografías finales. A)

Reposicionamiento dental con tratamiento de ortodoncia en paciente clase II debido a traumatismo: reporte de caso

Además, el tratamiento de reposicionamiento dental con ortodoncia ha demostrado ser eficaz para corregir la mala alineación de los dientes y mejorar la función y estética de la sonrisa según lo propuesto por Gupta y Rauniyar6 con quienes coincidimos que el reposicionamiento de los incisivos

laterales en el espacio de los incisivos centrales extraídos mejora la apariencia en la estética dental de la sonrisa del paciente.

Este caso subraya la importancia de la cooperación del paciente y el seguimiento continuo para garantizar

Figura 7. Radiografías finales y superposición.

A) Ortopantomografía. B) Lateral de cráneo.

C) Trazado cefalométrico. D) Superposición.

Tabla 1. Trazado cefalométrico inicial y final de Ricketts.

la estabilidad a largo plazo y el éxito del tratamiento. La técnica de camuflaje de clase II división I se presenta como una alternativa valiosa en

pacientes con traumatismos dentales y maloclusiones complejas, así como lo menciona Bradi.9 La cooperación y motivación del paciente juegan un papel importante en el éxito del tratamiento ortodóncico tratado con elásticos intermaxilares.

Es importante tener en cuenta que cada caso es único y requiere una evaluación individualizada para determinar el enfoque de tratamiento más adecuado, de acuerdo a Guo y Shao10 quienes valoran la importancia del uso de la inteligencia artificial (IA) y de herramientas digitales como la tomografía para el diagnóstico y planificación individualizada de los tratamientos ortodóncicos, y aunque en el diagnóstico de la paciente no se utilizara la IA, sí se utilizaron herramientas digitales para su diagnóstico, tratamiento y rehabilitación.

Conclusión

La sustitución con incisivos laterales y lateralización de caninos, incluyendo el camuflaje de clase II división I, ofrece una buena alternativa frente a este tipo de casos y pueden ayudar a los pacientes a mejorar la apariencia de su sonrisa y recuperar su autoestima.

En conclusión, este caso destaca la importancia de un plan de tratamiento integral para abordar casos complejos. Los resultados obtenidos subrayan la relevancia de la cooperación del paciente y el seguimiento continuo para garantizar la estabilidad a largo plazo y el éxito del tratamiento.

Linea

Referencias

1. George AM, Felicita AS, Milling Tania SD, Priyadharsini JV. Systematic review on the genetic factors associated with skeletal Class II malocclusion. Indian J Dent Res. 2021;32(3):399406. DOI: 10.4103/ijdr.IJDR_59_20

2. Prakash VS, Choudhury S, Sharma A, Chaudhary S. Treatment of Class II division I malocclusion having severe crowding, proclination with noncomplaint fixed functional appliance therapy, and frictionless mechanics. J Indian Soc Pedod Prev Dent. 2021;39(4):442-446. DOI: 10.4103/jisppd.jisppd_253_21

3. Dardengo Cde S, Fernandes LQ, Capelli Júnior J. Frequency of orthodontic extraction. Dental Press J Orthod. 2016;21(1):54-59. DOI: 10.1590/2177-6709.21.1.054-059.oar

4. Spinas E, Pipi L, Mezzena S, Giannetti L. Use of Orthodontic Methods in the Treatment of Dental Luxations: A Scoping Review. Dent J (Basel). 2021;9(2):18. DOI: 10.3390/ dj9020018

5. Yu X, Duan X, Zhi C, Jiang Y, Chen Z, Zhang C. Orthodontic treatment of traumatically avulsed maxillary central incisors with bimaxillary dentoalveolar protrusion in an adult female: a case report. BMC Oral Health. 2023;23(1):468. DOI: 10.1186/s12903-023-03123-7

6. Gupta SP, Rauniyar S. Orthodontic Space Closure of a Missing Maxillary Lateral Incisor Followed by Canine Lateralization. Case Rep Dent. 2020;2020:8820711. DOI: 10.1155/2020/8820711

7. Sabapathy K, Naveed N. Interdisciplinary orthodontic camouflage treatment with extraction of fractured maxillary central incisor and tooth substitution to treat skeletal bimaxillary protrusion- A case report. Clinical Dentistry 2022; XVI; 23-28. DOI:10.33882/ ClinicalDent.15.32093

8. Baxi S, Bhatia V, Tripathi AA, Kumar P, Pandey A, Dilip Taide P. Asymmetric Extraction Decision in Orthodontics. Cureus. 2023;15(6):e40162. DOI: 10.7759/cureus.40162

9. Badri MK. Effective and Efficient Correction of Severe Skeletal Class II Division 1 Malocclusion with Intermaxillary Elastics. Case Rep Dent. 2021;2021:6663563. DOI:10.1155/2021/6663563

10. Guo X, Shao Y. AI-driven dynamic orthodontic treatment management: personalized progress tracking and adjustments-a narrative review. Front Dent Med. 2025;6:1612441. DOI:10.3389/fdmed.2025.1612441

Objetivo: comparar la resistencia al cizallamiento de brackets cerámicos con 3 sistemas adhesivos diferentes. Material y métodos: se utilizaron 60 premolares, divididos en 3 grupos de 20c/u, se adhirieron brackets cerámicos Elite de TD®, con 3 adhesivos G1: Transbond™ XT 3M Unitek, G2: Engliht ORMCO y G3: Heliosit® Orthodontic Ivoclar vivadent, de acuerdo con las instrucciones del fabricante. Se realizó el ensayo de resistencia al cizallamiento en una máquina universal de pruebas mecánicas Instron a 1 mm/min. Todos los dientes se observaron en un microscopio estereoscópico a 30X. Resultados: transbond™ MIP obtuvo un valor de 10.94±4.37 MPa, Enlight 9.92±4.17 MPa y Heliosit® 7.18±2.63 MPa. Se

econtraron diferencias estadisticas entre Transbond™ MIP y Heliosit® (ANOVA p<0.05, pos hoc Tukey p<0.05). En cuanto al índice ARI, Transbond™ MIP presentó un índice ARI 1 con el 50%, Heliosit® el 55% en esta misma categoria, Enlight predominó ARI 3 y 4 con el 35% y 40% respectivamente. En este caso si se encontró asociación entre las resinas y el índice ARI (Chi2 =23.59, p<0.05). Conclusión: los 3 sistemas adhesivos son recomendados para utilizarse durante el tratamiento de ortodoncia cuando se emplean brackets cerámicos.

Palabras clave: cizallamiento, adhesión, fuerza de adhesión

MCD. Lilia Nayeli Benítez Rodríguez.1

Dra. Jacqueline Adelina Rodríguez-Chávez.2

Dra. Abigailt Flores-Ledesma.3

Dr. Hugo Marcelo Flores Ruiz.4

Dr. Luis Pablo Cruz-Hervert.5

Mtra. Silvia Paulina Martínez-Contreras.6

1Residente de la Especialidad en Ortodoncia y Ortopedia Maxilar. Universidad Cuauhtémoc, San Luis Potosí.

2Profesora de la Especialidad en Ortodoncia. Departamento de Clínicas Odontológicas Integrales. Centro Universitario de Ciencias de la Salud. Universidad de Guadalajara.

3Profesora Investigadora. Coordinador del Laboratorio de Materiales y Biomateriales Dentales de la Facultad de Estomatología. Benemérita Universidad Autónoma de Puebla.

4Profesor investigador. Departamento de Ciencias Naturales y Exactas. Centro Universitario de los Valles. Universidad de Guadalajara.

5Profesor de la División de Estudios de Posgrado e Investigación. Facultad de Odontología. Universidad Nacional Autónoma de México.

6Coordinadora y Profesora de la Especialidad en Ortodoncia y Ortopedia Dentomaxilofacial. Universidad Cuauhtémoc San Luis Potosí.

La especialidad en ortodoncia es responsable de la supervisión, cuidado y corrección de las estructuras dentofaciales, corrigiendo las diversas condiciones de los pacientes mediante el movimiento de dichas estructuras.1 En el pasado, los brackets eran aparatos multibandas que recubrían cada diente, siendo estorbosos, molestos e incómodo para los pacientes. Se tenían que crear espacios para la colocación de las bandas entre cada diente, haciendo que la consulta dental fuera bastante larga, además de que no eran nada estéticos.2 Con la aparición del ácido grabador y los adhesivos para el cementado directo de brackets, la técnica de multibandas fue desapareciendo, dando lugar a la colocación de los brackets como los conocemos hoy en día, siendo más cómoda para los pacientes y reducido el tiempo de la consulta dental.3

Se sigue enfrentando el problema de la estética, sobre todo en pacientes adultos.4 A mediados de 1980, aparecieron los brackets estéticos, hechos de diversos materiales, como zafiro monocristalino y cerámicas policristalinas.5 Con toda la variedad de brackets metálicos y estéticos que tenemos en

la actualidad, el problema recurrente es el desprendimiento de brackets. Por lo que el éxito del tratamiento de ortodoncia depende de que los brackets se adhieran adecuadamente al diente.6

Esta problemática genera retrasos en el tratamiento ortodóntico, más tiempo en la consulta dental, incomodidades para el paciente y eleva los costos del tratamiento tanto para el paciente como para el clínico. Algunas causas del desprendimiento de brackets son la falla de unión por secado ineficiente después del grabado o la contaminación por saliva.7 Otras causas relacionadas con el paciente incluyen defectos preexistentes del esmalte, higiene bucal, maloclusiones, cumplimiento con el tratamiento, entre otras.8

El esmalte dental es el tejido más duro del cuerpo humano; está compuesto por fosfato cálcico (hidroxiapatita) y material orgánico.9 Sirve como protección para las estructuras internas frente a fuerzas físicas, térmicas y químicas.10 La adhesión es necesaria durante el tratamiento de ortodoncia, ya que se establece entre la base del bracket y el esmalte dental.11 Es fundamental que la unión entre el bracket y el esmalte resista las fuerzas que se producen en la boca debido a

Figura 1. Sistemas adhesivos. A) Transbond™ MIP (3M Unitek). B) Enlight™ (Ormco). C) Heliosit® Orthodontic (Ivoclar Vivadent).

la masticación, así como el ambiente húmedo. Al finalizar el tratamiento, el bracket debe poder retirarse sin causar daños al esmalte.6

Reynolds11 estableció que la adhesión en ortodoncia debe ser capaz de resistir cargas que se encuentren entre 5.9 a 7.8 MPa, ante la problemática del desprendimiento de brackets, las casas comerciales han desarrollado nuevos sistemas adhesivos. Siddarth,12 menciona en su estudio comparativo que Transbond™ XT mostro un valor de 12.11 ± 2.6 MPa. Castillejos13 en sus resultados menciona para Englih ORMCO (grupo control) valores de 9.75 ± 4.70 MPa y para Transbond™ 7.48 ± 4.12 MPa. Tallani14 realizó un estudio comparando 4 sistemas donde sus resultados mostraron que Transbond XT tenía un valor de 12.91 ± 2.0 MPa, Bracepaste Adhesive 12.87 ± 1.59 MPa, Enlight de 11.77 ± 1,87MPa, y Heliosit® 10.93 ± 1.71MPa.

A continuación, se presenta un estudio in vitro donde se compara la resistencia al cizallamiento de brackets cerámicos Elite de TD ® utilizando de tres sistemas adhesivos Transbond™ XT 3M Unitek, Engliht ORMCO y Heliosit® Orthodontic Ivoclar vivadent.

Materiales y Métodos

Se utilizaron 60 premolares superiores e inferiores, derechos e izquierdos extraídos por indicación para tratamiento de ortodoncia. Se trabajó bajo la norma ISO 11405:2015, se utilizaron premolares sólo después de un mes

de haber sido extraídos y no más de 6 meses de su extracción, y fueron almacenados en refrigeración a 4º C. Se realizó cambio de agua cada semana para evitar el crecimiento bacteriano.

Los premolares fueron divididos aleatoriamente en 3 grupos de 20 O.D. cada uno. A cada grupo se le asignó un sistema adhesivo:

• G1: Transbond™ MIP (3M Unitek) (Figura 1A).

• G2: Enlight (Ormco) (Figura 1B).

• G3: Heliosit® Orthodontic (Ivoclar Vivadent) (Figura 1C).

Brackets

Se utilizaron brackets cerámicos Élite TD® Roth 0.22 para primeros premolares superiores, sin hook. El área de la base del bracket fue de 13.834 mm².

Procedimiento de adhesión

A todos los dientes se les realizó una limpieza antes de la colocación de los brackets, con pasta profiláctica libre de flúor y un cepillo profiláctico por 10 segundos, la limpieza de la pasta se hizo directamente al chorro de agua de una piseta de laboratorio, posteriormente se realizó el grabado de los dientes con ácido fosfórico al 37% por 20 segundos, siendo eliminado con abundante agua durante 20 segundos.

Protocolos de adhesión

Grupo 1. Se colocó una capa de Transbond™ MIP sobre la superficie dental

Figura 2. Ensayo de resistencia al cizallamiento. Cizalla de frente y en tres cuartos, donde se observa cómo incide en el eje longitudinal del diente.

húmeda, se colocó suavemente con aire durante 2-5 segundos y se procedió con la colocación del bracket con la resina Transbond XT Light Cure Adhesive Paste 3M Unitek en la base del bracket, para su posterior colocación en la superficie del diente donde con ayuda de un posicionador (moreli) se colocaron en el centro de este.

Grupo 2. Se seca con aire libre de humedad y aceite. Se colocó una pequeña cantidad de Orthosolo™ en una capa delgada y uniforme en el área tratada con la ayuda de un microbrush. En la base del bracket se colocó resina Englih ORMCO. Se colocó el bracket en la superficie del diente donde con ayuda de un posicionador (moreli) se colocaron en el centro del diente.

Grupo 3. Se realizó secado con aire libre de humedad y aceite. Se colocó Heliosit® Orthodontic Ivoclar vivadent sobre la superficie interior ya limpia del bracket metálico según las instrucciones del fabricante para su

colocación en la superficie dental en el centro del diente, con ayuda de un posicionador (morelli) se colocaron en el centro del diente.

El exceso de resina se retiró con ayuda de un explorador. Se procedió al fotocurado a 1mm de la superficie durante 20 segundos (Lámpara de Fotocurado Metálica – 6b Invent German longitud de onda: 440-480 nm e intensidad de la luz: 5W≥1200 mW/cm2).

Una vez que se colocaron los brackets en los dientes se procedió a montarlos en resina acrílica autopolimerizable (Nic Tone) utilizando un color diferente para cada grupo, dentro de en un bloque cilíndrico, con ayuda de un alambre 0.016” x 0.022” de acero y un módulo, se colocaran al centro del cilindro para lograr que, durante el ensayo de resistencia al cizallamiento, siempre incida en el mismo punto la cizalla. Todas las muestras fueron almacenadas en agua durante 24 horas a 37ºC.

Ensayo de resistencia al cizallamiento. Pasadas 24 horas de la colocación de los brackets se realizó el ensayo de resistencia al cizallamiento en la maquina universal de pruebas mecánicas Instron 4465 (Norwood, MA, USA), con una velocidad de 1.0 mm/min (Figura 2).

Índice de Adhesivo Remanente (ARI) Årtun y Bergland.

Se utilizó un sistema de Índice ARI para evaluar la cantidad de adhesivo

restante que queda en la superficie del diente después del retiro de brackets, los cambios en la base del bracket y superficie del esmalte fueron examinados cualitativamente en un microscopio estereoscópico (Marca Ecxsa modelo XTD 3), a una magnificación de 30x por un solo operador calibrado y ciego según Årtun y Bergland en 198415 (Figura 3).

Para el análisis estadístico, los datos de resistencia al cizallamiento se evaluaron mediante una prueba de normalidad (Shapiro Wilk p<0.05), posteriormente se analizaron con prueba de ANOVA y post hoc Tukey, los resultados de ARI se analizaron con una prueba de chi cuadrada (x2), se trabajó a un intervalo de confianza del 95%.

Resultados

En cuanto a la resistencia al cizallamiento, se observó que el sistema adhesivo Transbond™ MIP obtuvo el mayor valor con 10.94 ± 4.37 MPa, seguida de Enlight con 9.92±4.17 MPa y finalmente Heliosit con 7.18 ± 2.63 MPa. Se encontraron diferencias estadísticamente significativas entre Transbond™ MIP y Heliosit® Orthodontic (Ivoclar Vivadent) (Figura 4) (ANOVA, p < 0.05; post hoc Tukey, p < 0.05).

En cuanto al índice ARI, se observó que en Transbond™ MIP predominó un valor ARI 1 con el 50% de las muestras al igual que el Heliosit®, que tuvo el 55% de las muestras en esta misma categoría, mientras que en Enlight predominó ARI 3 y 4 con el 35%

Figura 3. Índice de Adhesivo Remanente (ARI) según Årtun y Bergland, con las siguientes categorías: valor 0, no se presentó adhesivo remanente en la superficie del esmalte dental; valor 1, se presentó menos de la mitad del adhesivo remanente en la superficie del esmalte dental; valor 2, se presentó más de la mitad del adhesivo remanente sobre el esmalte dental, y valor 3, se presentó todo el adhesivo sobre la superficie dental.

Figura 4. Resistencia al desprendimiento de los tres grupos. Se encontraron diferencias estadísticas entre Transbond™ MIP y Heliosit® (ANOVA, p < 0.05; post hoc Tukey, p < 0.05).

y 40% respectivamente (Tabla 1). En este caso si se encontró asociación entre las resinas y el índice ARI (x2 = 23.59, p < 0.05).

Discusión

En este estudio se evaluó la resistencia al desprendimiento de tres sistemas adhesivos, Transbond™ XT 3M Unitek, Englih ORMCO y Heliosit® Orthodontic Ivoclar vivadent. La prueba de cizallamiento se realizó a las 24 horas posterior a la adhesión en la maquina universal de pruebas mecánicas Instron, también se realizó índice de análisis de adhesivo remanente ARI.

Ramírez16 evaluó la resistencia al cizallamiento de 2 sistemas adhesivos con 2 condiciones diferentes de esmalte, seco y contaminado con saliva artificial. Se realizaron 5 grupos de 20 c/u el G1 utilizo Transbond XT, ácido fosfórico al 35% por 15 segundos, lavado y secado durante 10 segundos. Se colocó adhesivo Transbond™ MIP sobre la superficie seca del esmalte, posteriormente se

colocó resina Transbond XT, fotocurado durante 5 segundos por cada lado del bracket. Se obtuvieron valores de 19.71±

3.96 MPa. De acuerdo al índice ARI, el grupo uno presentó más de la mitad del adhesivo en esmalte, es decir un valor 2. Los resultados no coinciden con los del presente estudio, ya que los valores obtenidos por Ramírez fueron superiores. Esta diferencia puede atribuirse a que la prueba de cizallamiento se realizó una semana después del cementado de los brackets, mientras que en el presente trabajo se efectuó conforme a la norma ISO 11405:2015, a las 24 horas. Shalini17 reportó un estudio con 120 premolares donde se realizaron 4 grupos de 30 premolares cada uno. En el grupo IV, se utilizó grabador al 37% durante 15 segundos, para un posterior lavado y secado, siguiendo con la colocación de Heliosit®, para la posterior prueba de cizallamiento a las 24 horas, obteniendo valores de 7.3 ± 3.2 Mpa, los cuales son similares a los reportados en este trabajo. Esta coincidencia se atribuye a que se empleó una metodología de adhesión semejante. En cuanto al remanente de

adhesivo, más de la mitad permaneció en la superficie del bracket.

Siddarth12 comparó Transbond™ XT con dos primers diferentes en la superficie del esmalte; en el grupo 1 con 50 muestras, utilizó ácido fosfórico al 37%, posteriormente primer MIP, polimerizado por 15 segundos, seguido de la colocación de resina Transbond™ XT, la cual polimerizó por 30 segundos, realizando la prueba de cizallamiento 30 días después, obteniendo resultados de 12.11 MPa. Se coincide con estos resultados, ya que se concuerda con desviación estándar reportada en este trabajo, a pesar de que el ensayo se realizó a los 30 días.

Tallani15 realizó un estudio comparando cuatro sistemas adhesivos, donde sus resultados mostraron que el grupo de Transbond XT obtuvo un valor de 12.91 ± 2.0 MPa; el grupo de Enlight de 11.77 MPa ± 1.87MPa y el grupo de Heliosit® 10.93 MPa ± 1.71MPa. Estos resultados difieren de los obtenidos en el presente trabajo (10.94 MPa, 9.92 MPa y 7.18 MPa, respectivamente),

diferencia que puede atribuirse al tipo de brackets utilizados en este estudio.

Conclusión

Los resultados indican que el valor más alto de resistencia al cizallamiento fue para Transbond™ MIP y que existe diferencia estadísticamente significativa sólo entre Transbond™ MIP y Heliosit®

En la mayoría de las muestras se observó menos de la mitad de adhesivo remanente en la superficie del esmalte dental.

Transbond™ XT por su consistencia firme, permite un mejor control en la colocación y retiro de excedentes de resina, al ser hidrofílico, ayuda en caso de contaminación por saliva o sangre. Enlight, al tener una consistencia más viscosa, la colocación de los brackets y el retiro de excedentes fue más complicada. Heliosit®, al no necesitar adhesivo reduce tiempos en el sillón dental, sin embargo, su consistencia más fluida dificulta la colocación de brackets y el retiro de excedentes.

Tabla 1. Índice ARI. Se muestran las frecuencias y, entre paréntesis, el porcentaje correspondiente a cada grupo.paréntesis el porcentaje entre grupos. (Chi2 =23.59, p<0.05)

Referencias

1. 1. Gonzálvez N, García LR. Personalidades de la ortodoncia en el mundo. Revista Información Científica [Internet]. 2011;70(2). Recuperado de: https://www.redalyc.org/articulo.oa?id=551757297035

2. 2. Gange P. The evolution of bonding in orthodontics. Am J Orthod Dentofacial Orthop. 2015;147(4 Suppl):S56-S63. DOI: 10.1016/j.ajodo.2015.01.011

3. 3. Bishara SE, Laffoon JF, Vonwald L, Warren JJ. The effect of repeated bonding on the shear bond strength of different orthodontic adhesives. Am J Orthod Dentofacial Orthop. 2002;121(5):521525. DOI: 10.1067/mod.2002.123042

4. 4. Scribante A, Pascadopoli M, Gandini P, Mangia R, Spina C, Sfondrini MF. Metallic vs Ceramic Bracket Failures After 12 Months of Treatment: A Prospective Clinical Trial. Int Dent J. 2024;74(6):13711377. DOI: 10.1016/j.identj.2024.04.023

5. 5. Chen HY, Su MZ, Chang HF, Chen YJ, Lan WH, Lin CP. Effects of different debonding techniques on the debonding forces and failure modes of ceramic brackets in simulated clinical set-ups. Am J Orthod Dentofacial Orthop. 2007;132(5):680-686. DOI: 10.1016/j.ajodo.2006.01.035

6. 6. Goracci C, Di Bello G, Franchi L, et al. Bracket Bonding to All-Ceramic Materials with Universal Adhesives. Materials (Basel). 2022;15(3):1245. DOI: 10.3390/ma15031245

7. 7. Roelofs T, Merkens N, Roelofs J, Bronkhorst E, Breuning H. A retrospective survey of the causes of bracket- and tube-bonding failures. Angle Orthod. 2017;87(1):111-117. DOI: 10.2319/021616136.1

8. 8. Khan H, Mheissen S, Iqbal A, Jafri AR, Alam MK. Bracket Failure in Orthodontic Patients: The Incidence and the Influence of Different Factors. Biomed Res Int. 2022;2022:5128870. DOI: 10.1155/2022/5128870

9. 9. Reyes J. Estudio del esmalte dental humano por microscopia electrónica y técnicas afines. Rev Latinoam Metal. 2024;21(2):81–5.

10. 10. Lacruz RS, Habelitz S, Wright JT, Paine ML. Dental enamel formation and implications for oral health and disease. Physiol Rev. 2017;97(3):939-993. DOI: 10.1152/physrev.00030.2016

11. 11. Reynolds IR. A Review of Direct Orthodontic Bonding. Br J of Orthod. 1975;2(3):171-178, DOI: 10.1080/0301228X.1975.11743666

12. 12. Siddarth B, Aileni KR, Rachala MR, et al. Comparative evaluation and influence of new Optibond eXTRa self-etch Universal adhesive and conventional Transbond XT on shear bond strength of orthodontic brackets-An in vitro study. J Orthod Sci. 2022;11:43. DOI:10.4103/jos.jos_22_22

13. 13. Castillejos LC, Saez G, Alvarez C, Herrera MG. Resistencia al desprendimiento de brackets adheridos con resina en contacto con una bebida alcohólica. Rev Mex Ortodon [Internet]. 2 de febrero de 2016 [citado 15 de abril de 2025];2(3). Disponible en: https://www.revistas.unam.mx/ index.php/rmo/article/view/54192

14. 14. Tallani S, Singla R, Singla N, Natarajan M, Kukkila J. Clinical performance of light-cured orthodontic adhesives for bonding brackets - an in-vitro study. F1000Res. 2023;12:1442. DOI:10.12688/ f1000research.141328.1

15. 15. Årtun J, Bergland S. Clinical trials with crystal growth conditioning as an alternative to acid-etch enamel pretreatment. Am J Orthod. 1984;85(4):333-340. DOI: 10.1016/0002-9416(84)90190-8

16. 16. Ramírez D. Comparación de fuerza de adhesión de dos sistemas ortodóncicos con afi nidad a la humedad en dos condiciones de superfi cie del esmalte. Rev Mex Ortodon [Internet]. 2 de febrero de 2016 [citado 15 de abril de 2025];2(2). Disponible en: https://www.revistas.unam.mx/index. php/rmo/article/view/54173

17. 17. Shalini S, Jha A, Kashyap P, Gupta P, Rajbhoj S, Bhandari S. A Comparison of the Shear Bond Strength of Orthodontic Brackets Bonded With Different Orthodontic Adhesives. Cureus. 2023;15(5):e39115. DOI:10.7759/cureus.39115

Cómo la nanotecnología está transformando la odontopediatría clínica

La nanotecnología ha revolucionado la odontopediatría al permitir el desarrollo de materiales restauradores con propiedades bioactivas, antimicrobianas y regenerativas. Estos avances facilitan tratamientos menos invasivos, más estéticos y adaptados a las necesidades pediátricas. Este artículo de divulgación explora las principales aplicaciones clínicas de la nanotecnología en odontología infantil, incluyendo nanocomposites, adhesivos con nanorrelleno, cementos bioactivos y nuevos sistemas liberadores de fármacos.

Palabras clave: Nanotecnología, odontopediatría, nanocomposites, bioactividad, restauraciones pediátricas.

La odontopediatría contemporánea se enfrenta al reto de proporcionar tratamientos restauradores que cumplan con altos estándares de biocompatibilidad, estética y durabilidad, adaptados a las necesidades particulares de los pacientes pediátricos. En este contexto, la nanotecnología ha emergido como una herramienta clave en el diseño de materiales dentales avanzados, capaces de interactuar favorablemente con los tejidos dentarios y ofrecer beneficios adicionales en la prevención y el control de enfermedades bucales (Calza et al., 2018).

Fundamentos de la nanotecnología en odontología pediátrica

La nanotecnología se basa en la manipulación de la materia a escala nanométrica (1 a 100 nm), permitiendo el desarrollo de materiales con propiedades únicas. En odontopediatría, esta tecnología ha permitido mejorar significativamente la resistencia mecánica, la estabilidad dimensional y la capacidad estética de materiales restauradores, haciendo posible tratamientos más conservadores y eficaces (Lascano et al., 2018).

Nanocomposites y su aplicación clínica

La nanotecnología ha sido una aliada en el desarrollo de materiales dentales durante décadas, pero en los últimos años ha cobrado especial relevancia

Cómo la nanotecnología está transformando la odontopediatría clínica

gracias a la creación de materiales llamados nanocomposites bioactivos. Estos materiales combinan polímeros biodegradables —naturales o sintéticos— con partículas diminutas, de entre 1 y 100 nanómetros de tamaño (para darnos una idea, un cabello humano mide aproximadamente 80 000 nanómetros de grosor).

Gracias a su tamaño nanométrico, estos compuestos tienen una relación superficie-volumen extremadamente alta, lo que les permite interactuar con mayor eficacia en el entorno oral. Por ejemplo, pueden interferir con la formación de biopelículas bacterianas, romper la matriz que protege a las bacterias y facilitar así su eliminación. Esta capacidad no solo mejora la durabilidad del material restaurador, sino que también ayuda a prevenir caries secundarias, una preocupación común en la atención dental infantil.

Además, los bionanocompuestos están diseñados para ser compatibles con el cuerpo humano, ya que imitan los tejidos naturales y ofrecen una alternativa segura, sostenible y eficaz en los tratamientos pediátricos.

Los nanocomposites, al incorporar partículas de tamaño reducido, logran una mayor carga de relleno y mejoran la cohesión interna del material. Esto se traduce en restauraciones más resistentes y con mejor comportamiento frente a las fuerzas masticatorias. Además, su acabado superficial es más liso, lo que reduce la acumulación de biofilm y mejora la aceptación estética

Glafy García
Institución: CEMRO (Centro de Estudios en Medicina y Rehabilitación Oral)

por parte del paciente infantil (Calza et al., 2018).

Cementos de ionómero vítreo modificados

La incorporación de nanopartículas como hidroxiapatita, zirconio y plata en cementos de ionómero vítreo ha demostrado mejorar la resistencia al desgaste y potenciar la acción antibacteriana, manteniendo la liberación de flúor y su integración biológica con el diente (Lascano et al., 2018). En el entorno pediátrico, estos materiales son particularmente útiles por su facilidad de manipulación y su potencial para remineralizar estructuras afectadas por caries.

De acuerdo con la literatura, los pacientes en tratamiento ortodóntico tienen un riesgo elevado de sufrir lesiones en la mucosa oral debido a la fricción constante de los aditamentos, así como por su colocación o ajuste inadecuados.

Un ejemplo concreto de esta innovación es el Ketac™ N100, un ionómero de vidrio modificado con resina y tecnología de nanorrelleno desarrollado por 3M ESPE. Este material contiene partículas de alúmina y sílice de entre 5 y 30 nanómetros, organizadas en nanoclústeres homogéneos. Su presentación en sistema pasta/pasta con dispensador Clicker™ facilita una aplicación rápida y eficaz.

Entre sus ventajas clínicas destacan:

• Excelente estética y pulido, comparable al de los composites.

• Alta liberación de flúor, contribuyendo a la prevención de caries secundarias.

• Buena adhesión y resistencia mecánica, incluso en condiciones de difícil aislamiento.

Se ha utilizado exitosamente en restauraciones de caries temprana, defectos estructurales como MIH, dientes en erupción, tratamientos postoncológicos, y en niños con escasa cooperación clínica (Perona, 2012).

Sistemas adhesivos enriquecidos con nanorrellenos

Los adhesivos dentales actuales se han beneficiado de la inclusión de nanorrellenos, como esferas de sílice de aproximadamente 5 nm, que mejoran la penetración en la estructura dentaria y estabilizan la capa híbrida. Esta mejora resulta crucial en pacientes pediátricos donde el acceso y

la cooperación pueden ser limitados (Calza et al., 2018).

Propiedades bioactivas y antimicrobianas

Materiales restauradores enriquecidos con nanopartículas de fosfato de calcio amorfo, plata o quitosano han demostrado efectos positivos en la remineralización del esmalte y en la reducción del biofilm oral. Estas propiedades son especialmente valiosas en pacientes con alto riesgo cariogénico, permitiendo un enfoque restaurador-preventivo más integral (Maciel et al., 2020; Fernández et al., 2022).

Impacto de la nanotecnología

El impacto de la nanotecnología no se limita a la medicina en general: también está comenzando a transformar la odontología pediátrica, ofreciendo soluciones innovadoras y eficaces para mejorar la salud oral desde los primeros años de vida.

Una de sus aplicaciones más prometedoras está en el tratamiento de las caries oclusales —esas que aparecen en las superficies de masticación de los molares—. Hoy en día, algunos recubrimientos de resina enriquecidos con nanopartículas ya están demostrando ser más resistentes al desgaste, lo que significa que las restauraciones duran más tiempo y requieren menos reemplazos.

Otro avance interesante es el uso de aerosoles orales con resveratrol

Cómo la nanotecnología está transformando la odontopediatría clínica

nanoencapsulado, una sustancia natural que, al ser aplicada en forma de pequeñas partículas, ayuda a reducir la formación de placa bacteriana e inflamación, dos factores clave en la prevención de enfermedades bucales comunes en niños.

Por otro lado, los científicos están desarrollando sistemas basados en polisacáridos —una especie de azúcares naturales— que funcionan como vehículos biocompatibles para liberar medicamentos de forma controlada en la boca, mejorando los tratamientos sin causar molestias.

Y quizás uno de los desarrollos más llamativos es la creación de selladores dentales con nanopartículas de plata. Estos no solo protegen los dientes contra bacterias, sino que además pueden ser “recargables”, es decir, pueden liberar compuestos protectores de manera sostenida en el tiempo.

Incluso fuera del área dental, la nanotecnología ha mostrado su utilidad en la pediatría: se están explorando stents biodegradables hechos con aleaciones de magnesio que podrían ayudar a tratar obstrucciones en las vías respiratorias infantiles, ofreciendo una alternativa menos invasiva y más segura.

A pesar de todos estos avances, los especialistas coinciden en algo: todavía se necesita más investigación para entender completamente tanto los beneficios como los posibles riesgos de aplicar nanotecnología en los tratamientos odontológicos infantiles.

El futuro es prometedor, pero debe construirse con evidencia sólida y con la seguridad de los pacientes como prioridad (doi:10.3390/pharmaceutics15061583).

Ventajas en la práctica clínica pediátrica

El uso de materiales con nanotecnología en odontopediatría no solo mejora la calidad del tratamiento, sino que también reduce el tiempo clínico y mejora la experiencia del paciente. Estos materiales permiten realizar restauraciones menos invasivas, con mejor adaptación marginal y menor sensibilidad posoperatoria (Fernández et al., 2022).

Avances en cementos biocerámicos con nanotecnología

Los cementos biocerámicos representan otra aplicación relevante de la nanotecnología en odontología moderna, especialmente en el campo de la endodoncia. Según Ribeiro et al. (2024), estos materiales no solo ofrecen un excelente sellado y biocompatibilidad, sino que además presentan propiedades regenerativas y antimicrobianas superiores. Su pH alcalino favorece la reparación de tejidos periapicales y su estructura puede enriquecerse con nanopartículas como la plata, aumentando significativamente su acción antibacteriana frente a patógenos resistentes como Enterococcus faecalis. Entre los materiales evaluados se encuentran el MTA, Biodentine, CEM y

nuevas formulaciones como PulpGuard y RetroMTA®, todos ellos con propiedades ideales para sellado, reparación dentinaria y terapias regenerativas. Este tipo de avances, aunque centrados en la endodoncia, también abren nuevas posibilidades en la odontopediatría, especialmente en tratamientos conservadores y mínimamente invasivos en dientes inmaduros o traumatizados (Ribeiro et al., 2024).

Conclusión

La nanotecnología está revolucionando la odontopediatría al introducir materiales innovadores que no solo mejoran la calidad y durabilidad de los tratamientos, sino que también se adaptan a las particularidades de los pacientes infantiles. La implementación de nanoionómeros, nanocomposites, adhesivos enriquecidos con partículas nanométricas, y más recientemente, cementos biocerámicos con propiedades regenerativas y antimicrobianas, representa un avance significativo en la práctica clínica diaria.

Estas tecnologías permiten intervenciones más seguras, eficaces y menos invasivas, lo que se traduce en procedimientos más rápidos y cómodos, ideales para pacientes pediátricos que requieren tratamientos breves y poco traumáticos. Además, materiales con capacidad bioactiva contribuyen activamente a la prevención de caries, a la remineralización del esmalte y a la regeneración de tejidos dañados, transformando la atención odontológica en

un enfoque cada vez más preventivo y personalizado.

Si bien aún se requiere mayor investigación para comprender plenamente sus beneficios a largo plazo y garantizar su seguridad generalizada, la evidencia

científica actual confirma que la nanotecnología tiene un papel clave en el futuro de la salud bucal infantil. Se perfila como una aliada indispensable para ofrecer una odontología más moderna, eficiente y centrada en el bienestar integral del niño.

Referencias

1. Calza, L. et al. (2018). Nanotechnology applied to the development of resin composite and adhesive systems for enamel and dentin. Revista Methodo, 3(3), 78-82.

2. Lascano, L. et al. (2018). Nanotechnology applied to optimize Restorative Glass Ionomer Cements: Discussion of one case. Revista Methodo, 3(3), 83-87.

3. Maciel, F. et al. (2020). Aplicaciones de la nanotecnología en odontología restauradora. Revista Científica Multidisciplinaria, 6(1), 94-102.

4. Fernández, R. et al. (2022). La ciencia y la biología en la endodoncia: nuevos biomateriales. RAAO, 67(2), 27-29.

5. Omidian, H., & Mfoafo, K. (2023). Exploring the Potential of Nanotechnology in Pediatric Healthcare: Advances, Challenges, and Future Directions. Pharmaceutics, 15(6), 1583. https://doi. org/10.3390/pharmaceutics15061583

6. Perona, G. (2012). Nano-ionómeros y su aplicación en odontología pediátrica. Revista Expertise, 12, 7–9. Disponible en: https://www.researchgate.net/publication/299602452

Turn static files into dynamic content formats.

Create a flipbook
Issuu converts static files into: digital portfolios, online yearbooks, online catalogs, digital photo albums and more. Sign up and create your flipbook.