Revista Dentista y Paciente 206 | Octubre

Page 1


BOLETÍN

Del instrumental al paciente: la importancia de equipos en óptimas condiciones

PUNTO DE VISTA

La alimentación como factor predisponente de la caries dental en los jóvenes de 15 a 18 años de la UAGRO

CALIDAD Y DIRECCIÓN

Comparación de la resistencia al desprendimiento de brackets metálicos empleando 3 resinas

INVESTIGACIÓN

CLÍNICA

Estado de salud periodontal en usuarios de metanfetamina y opioides: una revisión sistemática

ENCICLOPEDIA ODONTOLÓGICA

Implantes y propiocepción: la importancia de preservar dientes clave en pacientes con enfermedad periodontal avanzada. Caso clínico con un seguimiento de 20 años.

BOLETÍN

Innovación dental y tecnología, clave para redefinir el rumbo de la salud bucal en México

SONRIENDO AL FUTURO

Prevalencia de lesiones traumáticas asociadas al uso de aparatología ortodóntica

Si la Seguridad Radiológica, como Operador de un equipo de Rayos-X Intra-oral es algo que desconoce o no le ha preocupado, tome sus precauciones para que la Radiación Ionizante no llegue a generar con el en su organismo. tiempo Daños Estocásticos y Acumulativos

Como llevar a cabo una toma radiográfica en condiciones de seguridad con Equipos de RX Intra-orales TRADICIONALES, de piso o pared:

Antes de activar el Equipo, colóquese a DOS metros de distancia del RX y del Paciente, fuera del haz principal de radiación, o active el Equipo con disparador remoto. NU NC A so st eng a la Fuent e G e ner a dora e n sus m a no s. NUNCA sostenga en sus manos la película o el sensor digital en la cavidad oral del paciente.

Súmate a una práctica más profesional y segura.

Si la toma radiográfica es con un E qu ip o PORTÁTIL SIN DISPARADOR REMOTO, CO L ÓQ UES E MAND IL , GU ANT ES Y COLLAR TIROIDEO EMPLOMADOS, ya que sin protecciones las Dosis de Radiación pueden rebasar en más de TRES VECES lo que indican las Normas Establecidas de Seguridad Radiológica.

La información pro porci ona d a es cor t esí a de

Octubre 2025

Al momento de elaborar esta editorial, el último reporte sobre sarampión emitido por la Secretaría de Salud corresponde al 12 de septiembre. En dicho informe se señala que un caso probable de sarampión o rubéola es toda persona de cualquier edad que presente fiebre y exantema maculopapular, acompañado de uno o más de los siguientes signos o síntomas: tos, coriza, conjuntivitis o adenomegalias (retroauriculares, occipitales o cervicales). La confirmación de los casos probables se realiza mediante técnicas de laboratorio.

Los casos confirmados de sarampión afectan a ambos sexos (48 % hombres y 52 % mujeres). El grupo de edad más afectado es el de 0 a 4 años (1 109 casos), seguido del grupo de 25 a 29 años (586 casos) y de 30 a 34 años (483 casos). En cuanto a la tasa de incidencia, el grupo de 0 a 4 años presenta la más alta (10.66 casos por cada 100 000 habitantes menores de 4 años), seguido de los grupos de 25 a 29 años y de 30 a 34 años, con tasas de 5.53 y 4.63, respectivamente.

Hasta el 12 de septiembre de 2025, se han registrado 4 553 casos confirmados de sarampión acumulados; en las últimas 24 horas se notificaron 21 casos nuevos. De acuerdo con la distribución de casos confirmados por entidad federativa y municipio, 23 estados y 97 municipios han reportado presencia de la enfermedad. El número de defunciones asciende a 19.

Respecto al desabasto de medicamentos, si bien se han hecho esfuerzos por adquirirlos, este persiste, al igual que los problemas de mantenimiento y adquisición de equipo en hospitales. Además, debido a las lluvias recientes, algunos hospitales han sufrido inundaciones y han tenido que evacuar a sus pacientes.

¡A seguirse cuidando!

Mtro. Carlos Adolfo Espinosa García Especialidad en Odontología Legal y Forense Maestría en Odontología

10 | BOLETÍN

Del instrumental al paciente: la importancia de equipos en óptimas condiciones

14 | PUNTO DE VISTA

La alimentación como factor predisponente de la caries dental en los jóvenes de 15 a 18 años de la UAGRO

Editorial Renascence S.A. de C.V.

24 | CALIDAD Y DIRECCIÓN

Comparación de la resistencia al desprendimiento de brackets metálicos empleando 3 resinas

34 | INVESTIGACIÓN CLÍNICA

Estado de salud periodontal en usuarios de metanfetamina y opioides: una revisión sistemática

Fundador

Jaime Francisco Martínez Aceves†

Directora General María Guadalupe Patricia López de Martínez patricia.lopez@dentistaypaciente.com

Directora Editorial

Mariangel Martínez López mmartinez@dentistaypaciente.com

Director de Arte y Diseño

Jesús Salas Pérez jesasez@dentistaypaciente.com

Coordinador Editorial

Marco A. Vergara Salgado marversa@dentistaypaciente.com

Gerentes Comerciales y de Negocios

Carlos Martínez García, Gabriela Ocadiz, Edson Aarón Hernández

Producción y Circulación

Edson Aarón Hernández

Fotografía e Ilustraciones

Editorial Renascence

Suscripciones

Edson Aarón Hernández

Preprensa e Impresión

MV IMPRESIONES

Distribución

MV IMPRESIONES, Av. Acueducto #9 Col. Quiahuatla, Alcaldia Tláhuac, C.P. 13090, CDMX

Contabilidad y Administración

L. C. y E. F. Renato Muñoz

director científico

Dr. Carlos Espinosa García Especialista en Odontología Legal y Forense

consejo editorial

Dr. Carlos Espinosa García Especialista en Odontología Legal y Forense

Javier Portilla Robertson

Exdirector de la Facultad de Odontología de la UNAM

Especialista en Patología Bucal

Marco A. Vergara Salgado

C.D.E.O. Arturo Alvarado Rossano†

Profesor y Especialista en Ortodoncia y Ortopedia Craneofacial en la Facultad de Odontología. UNAM. Asesor Académico y Coordinador de Difusión de la AMOCOAC.

C.D. Manuel García Luna y González Rubio

Dra. Ana Gabriela Carrillo Varguez

Coordinadora de la especialidad en endodoncia UABC Tijuana. Coordinadora de Investigación y Posgrado F.O. UABC

M.C. Ernestina Santillana Marín

Subdirectora de CISALUD UABC

William James Maloney, D.D.S. Clinical Associate Professor New York University

universidad anáhuac méxico norte

C.D. Carlos Robles Bonilla Coordinador de la Licenciatura de Cirujano Dentista

C.D. Sergio Antonio Ojeda León Profesor Titular de Odontopediatría de la Licenciatura de Cirujano Dentista

C.D. Bernardo Grobeisen Weingersz Profesor Titular de Clínica Integral de la Licenciatura de Cirujano Dentista

C.D. Norma Ibañez Mancera. Profesora Titular de Patología Bucal de la Licenciatura de Cirujano Dentista

Dirección del Derecho de Autor certificado de reserva al uso exclusivo no. 04-2008022718312200-102 con fecha 27 de Marzo del 2008. Gobernación de la H. Comisión Calificadora de Publicaciones y Revistas Ilustradas, certificado de licitud de contenido 5328, certificado de licitud de título 7411, franqueo pagado, publicación mensual permiso no. PP09-02106, SEPOMEX. Las opiniones expresadas en los artículos y en los anuncios publicados no significan de ninguna manera juicios, criterios, ideas o cualquier otro concepto por parte de la editorial; reflejan únicamente las ideas y pensamientos de sus autores. Los artículos, entrevistas, resúmenes, publirreportajes, fotografías y cualquier otro material son exclusivos de la editorial, y no se autoriza la reproducción total o parcial por ningún medio sin previa autorización del editor. Para cualquier asunto relacionado con suscripción, distribución, comercialización, anuncios, contenido u otro propósito, favor de dirigirse a la editorial. Impreso en MV IMPRESIONES, SA DE CV.

Dentista y Paciente® Publicación mensual correspondiente al mes de OCTUBRE DE 2025. editada por Editorial Renascence S.A. de C.V., Rancho Jigüingo 29, Prado Coapa, Ciudad de México, 14350. tel. 56846632, fax 56793656. Distribuida en locales cerrados, depósitos dentales, universidades, congresos y exposiciones. Editora responsable: Mariangel Martínez López. Fotoarte de portada: Editorial Renascence.

distribución certificada por el padrón nacional de medios impresos de la dirección general de medios impresos de la secretaría de gobernación no. 007-136. www.gobernacion.gob.mx

42 | ENCICLOPEDIA ODONTOLÓGICA

Implantes y propiocepción: la importancia de preservar dientes clave en pacientes con enfermedad periodontal avanzada. Caso clínico con un seguimiento de 20 años.

60 | SONRIENDO AL FUTURO

Prevalencia de lesiones traumáticas asociadas al uso de aparatología ortodóntica

54 | BOLETÍN

Innovación dental y tecnología, clave para redefinir el rumbo de la salud bucal en México

Del instrumental al paciente: la importancia de equipos en óptimas condiciones

Ing. Adrián Sánchez Pérez- Coordinador de Educación Lorma

Más allá del instrumental

A lo largo de este recorrido hemos comentado los aspectos más relevantes del proceso de esterilización y el impacto que genera en nuestro entorno. Pero surge una pregunta clave: ¿cómo podemos asegurar que, más allá de nuestra praxis clínica, el proceso se está realizando correctamente? En otras palabras, ¿qué pasa con el estado de nuestra autoclave?

En la práctica cotidiana nos enfrentamos a una problemática que suele minimizarse: el mantenimiento de los equipos de esterilización. La falta de atención a este punto crítico se debe, en gran medida, al desconocimiento de su importancia. Sin embargo, descuidar el mantenimiento puede tener consecuencias directas tanto para la seguridad del paciente como para la calidad de los procesos del consultorio. Hoy nos adentraremos en este tema tan particular como necesario.

El comienzo: nuestro agente esterilizante

En este artículo nos centraremos en las autoclaves de mesa gravitacionales o de carga tipo N. En estos equipos, el agente esterilizante es el responsable de inactivar los microorganismos presentes en los dispositivos médicos.

¿Por qué se utiliza agua en este proceso? Al someterla a un calentamiento específico y en un volumen controlado, el agua genera vapor saturado,

cuya humedad transfiere la energía térmica necesaria para destruir a los microorganismos.

Aquí es donde la pureza del agua cobra un papel fundamental. Si contiene impurezas o contaminantes, al evaporarse pueden generar efectos no deseados: desde corrosión en los instrumentos hasta barreras que dificultan el contacto directo del vapor con los microorganismos, comprometiendo así la efectividad de la esterilización.

La transferencia térmica

En los diferentes protocolos de esterilización encontramos combinaciones específicas de tiempo y temperatura, definidas con un factor de seguridad para garantizar la eficacia del proceso con vapor saturado. Los parámetros más comunes son:

• 121°C durante 15 minutos

• 126°C durante 10 minutos

• 134°C durante 3 minutos

El diseño de los equipos busca evitar el uso de vapor sobrecalentado, que puede generarse cuando existen cambios de presión acompañados de un aumento excesivo de temperatura.

Aunque en teoría las autoclaves mantienen un volumen y calentamiento controlados, con el tiempo sus componentes sufren desgaste y pueden aparecer fugas. Por ello, es fundamental seguir las recomendaciones del fabricante respecto a las piezas que requieren reemplazo periódico, como sellos o empaques de la puerta.

Del instrumental al paciente: la importancia de equipos en óptimas condiciones 206. Octubre 2025

La mayoría de los equipos de mesa funcionan por gravedad, lo que limita su eficacia en dispositivos con lúmenes o materiales porosos como textiles complejos.

Además, debemos recordar que los metales se dilatan con el calor y se contraen al enfriarse. Este fenómeno afecta a diversos componentes del equipo y, si no se vigila mediante inspecciones periódicas, puede comprometer tanto la seguridad del equipo como la de los usuarios.

Finalmente, no basta con que el equipo “se caliente”. Cada autoclave debe mantener un gradiente de temperatura definido y estable. Verificar periódicamente el buen estado de la fuente de energía térmica es clave para asegurar un proceso confiable.

El proceso

Para garantizar una esterilización efectiva es fundamental no sobrecargar la

cámara del equipo. Cualquier objeto que obstruya la circulación del vapor no solo afecta la transferencia de calor, sino que también puede convertirse en una fuente de contaminación para la carga.

Otro aspecto crítico es el desplazamiento del aire frío. La mayoría de los equipos de mesa funcionan por gravedad, lo que limita su eficacia en dispositivos con lúmenes o materiales porosos como textiles complejos. En estos casos, resulta más difícil asegurar la completa evacuación del aire, condición necesaria para que el vapor llegue a todas las superficies.

Finalmente, no debemos olvidar el impacto ambiental. La descarga de vapor debe cumplir con la normativa

vigente en materia de conservación, ya que puede tener efectos microbiológicos en el entorno y provocar alteraciones térmicas en el suelo debido a la alta temperatura del agua descargada.

Conclusión

Cuidar el estado mecánico de los equipos de esterilización no es un trámite más, sino una responsabilidad que asegura la confianza en cada procedimiento clínico. Recordemos que detrás de cada ciclo hay un paciente que deposita su salud en nuestras manos. Mantener las autoclaves en óptimas condiciones es, al mismo tiempo, un acto de disciplina profesional y un compromiso ético.

Sigamos construyendo juntos esta cultura de seguridad y excelencia. En la próxima entrega abordaremos las pruebas químicas y biológicas que nos permiten validar, con plena certeza, la eficacia de nuestros procesos de esterilización.

Referencia

• ISO 17665-1

Editorial Renascence | Fotografía: AdobeStock

Fotoarte:

Antes que nada, se debe tener en cuenta que la alimentación desempeña un papel muy importante para el desarrollo del cuerpo humano, ya que proporciona los nutrientes necesarios para el crecimiento y el mantenimiento de todas las funciones vitales del organismo. Una alimentación equilibrada y nutritiva es fundamental para mantener una óptima salud bucal, ya que los nutrientes que ingerimos tienen una función esencial en la fortaleza de los dientes y encías. Consumir una dieta rica en vitaminas y minerales no solo contribuye a la prevención de caries y enfermedades periodontales, sino que también fortalece el sistema inmunológico, ayudando a proteger el cuerpo contra diversas enfermedades infectocontagiosas. Cuando tenemos hábitos alimenticios saludables ayudamos a preservar tanto nuestra salud oral como la del organismo, para que así finalmente tengamos una mejor calidad de vida.

Por otro lado, si no se sigue una dieta adecuada, es más probable que desarrollemos caries dental y enfermedades de las encías. Esto puede suceder en cualquier etapa de la vida, en el caso de los niños adquirir buenos hábitos alimentarios es fundamental para prevenir la aparición de caries u otros problemas de salud.

La caries es mayormente conocida por destruir los tejidos duros de los dientes y es el resultado de la interacción entre bacterias, dieta, saliva y estructura dental, en este proceso la sana alimentación juega un papel sumamente importante. La caries es uno de los más importantes problemas para el área de la salud ya que prevalece en los individuos sin importar la edad, género o condición social. Afecta a casi 3 500 millones de personas durante toda su vida.

Los azúcares son los principales culpables de la aparición de caries, al consumir pequeñas cantidades de azúcar a lo largo del día puede ser más dañino que ingerir una gran cantidad en una sola comida, debido a la constante exposición a los ácidos que se producen en cada ingesta. Así, se ha visto que alimentos que contienen entre un 15% y un 20% de azúcares, especialmente sacarosa, son de los más cariogénicos, sobre todo, si se toman entre comidas.

Es recomendable que la salud bucal sea una de las mayores prioridades en la vida de todas las personas, ya que no solamente se ve afectada la forma de hablar o de masticar por pérdida de piezas dentales, sino que también afecta de manera importante la calidad de vida.

La alimentación como factor predisponente de la caries dental

La alimentación como factor predisponente de la caries dental en los jóvenes de 15 a 18 años de la UAGRO

Sidney Yamileth Reyes Reséndiz-D.C.

Hilda Lourdes Muñuzuri Arana-D.C.

José Francisco Giles López-D.C.

Luis Alfredo De la Torre Gil- D.C. Silvia Martínez Peralta-EIRB. Francisco Giles Martínez -D.C. Juan Manuel Solís Soto-D.C.

Tanya Paulina Trejo Muñuzuri-D.C. Rosa Isela Sánchez Nájera

Facultad de Odontología de la UAGro IDCA No 37362 provisional; Salud, Educación y Sociedad CA No 173 Ciencias Morfológicas

Objetivos

Objetivo general.

Dar a conocer cuántos hombres y cuántas mujeres presentan caries dental.

En la Figura 1 se puede observar el porcentaje de jóvenes hombres y mujeres encuestados que actualmente presentan caries dental. El 76% (25 jóvenes) de los entrevistados son

mujeres, mientras que el 24% (8 jóvenes) son hombres. Aquí se logró dar cuenta que la caries persiste en mayormente en el género femenino que en el masculino.

Objetivos específicos:

• Identificar cuál es la edad entre 15 a 18 años con mayor incidencia de caries por la mala alimentación

Como se puede notar en la Figura 2 anterior se entrevistó a 33 jóvenes estudiantes de 15 a 18 años, el 14% (1 persona) de jóvenes de 16 años sufre caries dental debido a la mala alimentación, por otro lado, el 72% (5 personas) de jóvenes de 17 años también padece esta enfermedad y el 14% (1 persona) de jóvenes de 18 años efectivamente sufre de caries dental. Por lo tanto, se puede concluir que la edad de 17 años

1. Dar a conocer cuántos hombres y cuántas mujeres presentan caries dental.

2. Identificar cuál es la edad entre 15 a 18 años con mayor incidencia de caries por la mala alimentación.

Figura
Figura

Nunca

No tan frecuente

Frecuentemente

3. Conocer qué sexo en jóvenes entre 15 a 18 años es más predisponente a la caries por la

es donde más predomina la caries dental debido a la mala alimentación.

• Conocer qué sexo en jóvenes entre 15 a 18 años es más predisponente a la caries por la mala alimentación

En la Figura 3 se puede observar que en el género femenino el 88% de las jóvenes encuestadas consumen de forma no tan frecuente los alimentos cariogénicos y el 2% lo consume de una manera frecuente. En la Figura 4 el 62% de los jóvenes encuestados ingieren

Nunca

No tan frecuente

Frecuentemente

Figura 4. Conocer qué sexo en jóvenes entre 15 a 18 años es más predisponente a la caries por la mala alimentación (masculino).

de forma no tan frecuentes alimentos cariogénicos, el 25% los consume frecuente y solamente el 13% nunca los ha consumido. Tomando en cuenta todo lo anterior se concluye que el género que más consume alimentos cariogénicos es el masculino.

• Identificar con qué frecuencia los jóvenes entre 15 a 18 años consumen alimentos cariogénicos

En la Figura 5, se logró notar que de los 33 estudiantes encuestados el 15%

Nunca

No tan frecuente

Frecuentemente

5. Descubrir con qué tanta frecuencia los jóvenes entre 15 a 18 años consumen alimentos cariogénicos.

• Determinar cuánto saben los jóvenes entre 15 a 18 años sobre la relación entre la alimentación y la caries dental

En la Figura 6 se puede notar cómo de los 33 estudiantes encuestados, el 85% indica que la alimentación efectivamente tiene relación con la aparición

No estoy seguro/a

No tienen relación

Sí tienen relación

Figura 6. Evaluar los conocimientos en los jóvenes entre 15 a 18 años sobre la relación entre la alimentación y la caries dental. consume frecuentemente alimentos cariogénicos, por otro lado, el 82% los consume, pero de una manera no frecuente y el 3% nunca consume alimentos cariogénicos.

Figura
mala alimentación (femenino).
Figura

de caries dental, mientras que el 6% marcan que estos dos factores no tienen relación alguna y el 9% no están seguros/as de que exista una relación.

• Reconocer cómo afecta la mala alimentación en los jóvenes entre 15 a 18 años para la caries dental

En la Figura 7 anterior que fue aplicada a 33 jóvenes, puede notarse que el 61% lleva una mala alimentación y por lo tanto esta influye para la aparición de caries dental, el 12% lleva

La alimentación como factor predisponente de la caries dental

No lo sé

Buena alimentación

Alimentación inadecuada

un aumento de peso después de

No me di cuenta

No Sí

10. ¿Observaste una pérdida de peso después de la pandemia de COVID-19 y del huracán Otis?

buena alimentación y el 27% no saben si su tipo de alimentación tiene relación con la caries dental (Figura 7).

Metodología

Tipos de estudio:

Esta investigación es de tipo transversal, descriptivo y observacional.

• Transversal: Los estudios de tipo transversal recolectan datos en un solo momento. Su propósito es describir

variables y analizar su incidencia e interrelación en un momento dado (Hernández Sampieri et al., 2014).

• Descriptivo: Los estudios descriptivos buscan especificar las propiedades importantes de personas, grupos, comunidades o cualquier otro fenómeno que sea sometido a análisis. Describe tendencias, características o la situación actual de las variables de estudio (Hernández Sampieri et al., 2014).

• Observacional: Un estudio observacional se refiere a la investigación

una
Figura 7. Reconocer cómo afecta la mala alimentación en jóvenes entre 15 a 18 años por la caries dental.
Figura 8. ¿Notaste
la pandemia de COVID-19 y del huracán Otis?
Figura 9. ¿Consideras que la ingesta de alimentos que tuviste después del COVID-19 y el huracán Otis fue adecuada?
Figura

Nunca

Algunas veces

Siempre

No lo recuerdo

No

12. ¿Tuviste alguna molestia en tus dientes después de la pandemia de COVID-19 y del huracán Otis?

No me di cuenta

Algunas veces

No

13. ¿Ingerías de manera regular alimentos ricos en fibra, vitaminas y minerales después de la pandemía de COVID-19 y del huracán Otis?

donde no se manipulan las variables independientes. Los investigadores observan los fenómenos tal y como se presentan en la realidad, sin intervenir (Hernández Sampieri et al., 2014).

Material y Métodos.

Para realizar esta investigación se utilizaron recursos materiales, como una computadora, memoria USB, cuadernos, hojas blancas y el pago del transporte público. Para los recursos humanos, se

contó con la colaboración de la D.C. Hilda Lourdes Muñuzuri Arana catedrática investigadora de la Facultad de Odontología de la UAGro, del Cuerpo Académico No. Registro 37362 y de los estudiantes de la UAGro.

Para realizar esta investigación se formuló un cuestionario que lleva por nombre “La Alimentación Como Factor Predisponente de la Caries Dental en los Jóvenes de 15 a 18 años”. Se aplicó a 33 jóvenes de la UAGro en modalidad virtual, con la finalidad de saber

Figura 14. ¿Notaste inicio de caries en tus dientes después del COVID-19 o del huracán Otis?

que tanto les afectó la alimentación y la caries dental después de la pandemia de COVID-19 y del huracán Otis.

• Resultados en gráficas del cuestionario aplicado a 33 jóvenes de la UAGro

En la Figura 8 se observa que de los 33 estudiantes encuestados el 42% notó aumento de peso después de la pandemia de COVID-19 y el huracán Otis, mientras que el 30% no aumentó de peso y el 27% no se dio cuenta si aumentaron o no su peso.

Figura 11. ¿Con qué frecuencia consumías alimentos cariogénicos después de la pandemia de COVID-19 y del huracán Otis?
Figura
Figura

En la Figura 9 se observa que de los 33 estudiantes encuestados el 33% indica que la ingesta de alimentos fue adecuada después de la pandemia de COVID-19 y el huracán Otis, mientras que el 46% considera lo contrario y el 21% desconoce si su ingesta de alimentos fue adecuada o no.

En la Figura 10 se observa que de los 33 estudiantes encuestados el 27% notó pérdida de peso después de la pandemia de COVID-19 y el huracán Otis, mientras que el 40% no perdieron

La alimentación como factor predisponente de la caries dental

peso y el 33% no se dio cuenta de si perdió o no peso.

En la Figura 11 se observa que de los 33 estudiantes encuestados el 12% siempre consumía alimentos cariogénicos después de la pandemia de COVID-19 y el huracán Otis, mientras que el 3% nunca los consumió y el 85% los ingería algunas veces.

En la Figura 12 se observa que de los 33 estudiantes encuestados el 12% tuvo molestias en sus dientes

15. ¿Has notado algún cambio de hábito alimenticio después de la pandemia de COVID-19 y del huracán Otis?

16. ¿Con qué tanta frecuencia lavas tus dientes al día?

17. ¿Crees que la alimentación es importante para la salud bucal?

Figura 18. ¿Qué tanto consideras que las experiencias después de la pandemia de COVID-19 y del huracán Otis han influido en tu forma de ver la alimentación saludable para tu bienestar general?

Figura
Figura
Figura

Nunca

No tan frecuente

Frecuentemente

Figura 20. ¿En la actualidad con qué frecuencia consumes alimentos cariogénicos (no saludables)?

No lo sé

No

Figura 21. ¿Consideras que la alimentación tiene un impacto significativo en la aparición de caries dental?

después de la pandemia de COVID-19 y el huracán Otis, mientras que el 61% no tuvo molestias en sus dientes y el 27% no recuerda si tuvieron molestias.

En la Figura 13 se observa que de los 33 estudiantes encuestados el 51% ingería de manera regular alimentos ricos en fibra, vitaminas y minerales después de la pandemia de COVID-19 y el huracán Otis, mientras que el 3% no los consumía y el 46% solamente los ingería algunas veces.

En la Figura 14 se observa que de los 33 estudiantes encuestados el 9% notó inicio de caries en sus dientes después de la pandemia de COVID-19 y el huracán Otis, mientras que el 73% no tuvo inicios de caries y el 18% no se dio cuenta de algún inicio de caries en sus dientes.

En la Figura 15 se observa que de los 33 estudiantes encuestados el 67% notó un cambio de hábito alimenticio después de la pandemia de COVID-19 y el huracán Otis, mientras

Figura 22. ¿Crees que tu tipo de alimentación influye en la aparición de caries dental?

que el 24% no lo notó y el 9% no tuvo ningún cambio de hábito alimenticio.

En la Figura 16 se observa que de los 33 estudiantes encuestados el 6% lava sus dientes 1 vez al día, mientras que el 82% se lo cepillan solamente 2 a 3 veces al día y el 12% más de 3 veces al día.

En la Figura 17 se observa que de los 33 estudiantes encuestados el 91% considera que la alimentación es importante para la salud bucal, el 9% desconoce

Figura 19. ¿Actualmente sufres de caries dental?

si es importante, mientras que ninguno de los 33 estudiantes marcaron la casilla “No”.

En la Figura 18 se observa que de los 33 estudiantes encuestados, el 30% considera que las experiencias después de la pandemia de COVID-19 y el huracán Otis influyeron en su forma de ver la alimentación saludable para su bienestar general, mientras que el 61% cree que solo influye un poco y el 9% no lo consideran de esa manera.

En la Figura 19 se observa que de los 33 estudiantes encuestados, el 21% sufre actualmente de caries, el 64% no padece de esa enfermedad y el 15% no sabe si la tienen.

En la Figura 20 se observa que de los 33 estudiantes encuestados, el 15% consume con frecuencia alimentos cariogénicos, mientras que el 82% no los ingiere frecuentemente y el 3% nunca los consume.

En la Figura 21 se observa que de los 33 estudiantes encuestados, el 85% considera que la alimentación tiene un impacto significativo en la aparición de caries dental, el 6% cree que la forma de alimentarse no influye para el padecimiento de esta enfermedad y el 9% no están seguro.

En la Figura 22 se observa que de los 33 estudiantes encuestados, el 61% considera que su tipo de alimentación influye para su desarrollo de caries dental, el 12% no lo cree así y el 27% no

La alimentación como factor predisponente de la caries dental

saben si su alimentación influye para desarrollar caries dental.

Conclusiones

Este trabajo de investigación se ha realizado con la finalidad de conocer la relación que tiene la alimentación con la caries dental.

Los resultados obtenidos nos ayudaron a confirmar la hipótesis inicial sobre “la alimentación como factor predisponente de la caries dental en estudiantes de 15 a 18 años”. A lo largo de la investigación se pudo notar significativamente la relación existente entre el tipo de dieta que consume la población y el desarrollo de la caries, sobre todo en el consumo elevado de azúcares y carbohidratos.

En este estudió se logró comprobar que realmente si hay una relación entre la alimentación y la caries dental, resaltando que no está de más tener una buena dieta y priorizar la salud bucal para no tener problemas a futuro.

Propuestas y alternativas

Los resultados obtenidos en el trabajo de investigación hacen notar la importancia de promover la educación nutricional y así mismo implementar campañas que apoyen la dieta equilibrada y baja en azúcares, también en la conveniencia de adoptar buenas prácticas de higiene bucal para prevenir la caries. Estas observaciones pueden servir para que la población logré

hacer conciencia sobre los problemas odontológico que provocan el consumo de alimentos cariogénicos para que se reduzca lo más posible su consumo y con esto busquen mejorar la salud dental.

Evidencias de trabajo en el 11º Verano de la Investigación Científica para Alumnos del Nivel Medio Superior “Asómate a la Ciencia este Verano” 2024 (Figura 23 y 24).

Figura 23.
Figura 24.

Referencias

1. (S/f). Unam.mx. Recuperado el 22 de julio de 2024, de https://ru.dgb.unam.mx/bitstream/20.500.14330/TES01000845840/3/0845840.pdf

2. López, G., & Teresa, M. (2019). Prevalencia de caries dental asociada a factores de riesgo y necesidades de atención en pacientes indígenas infantiles que acuden a la clínica Esquipulas en Chiapas, México. Universidad Autónoma de Nuevo León.

3. Carrasco, F., & Alfredo, L. (2019). Relación entre la caries y el tipo de azúcar consumido en el programa Qaliwarma y la lonchera escolar en los niños de 3 a 5 años en la institución educativa 40687 Félix Rivas Gonzáles Arequipa - 2018. Universidad Alas Peruanas.

4. Padilla, B. S. C., & Martínez, D. N. C. (2024). Prevalencia de caries en niños de edad escolar de 6-12 años en estudiantes del CIIE y pacientes pediátricos ambulatorios de la clínica odontológica de UNITEC. Universidad Tecnológica Centroamericana UNITEC.

5. Pozo, D., & Andre, D. (2024). Caries dental en relación al tipo de lonchera en estudiantes de la I.E San Pedro, Trujillo- 2023. Universidad Privada Antenor Orrego.

6. Portocarrero, V., & George, M. (2024). Nivel de conocimiento sobre caries y dieta cariogénica en los estudiantes de la I.E 18207 San Nicolás, Rodríguez de Mendoza, Amazonas - 2021. Universidad Privada Antenor Orrego.

7. Aravena Torres, P. (2012). ¿Diente o pieza dentaria? Revista Clínica de Periodoncia, Implantología y Rehabilitación Oral, 5(1), 46–46. https://doi.org/10.4067/s0719-01072012000100008

8. Crespo Mafrán, M. I., Riesgo Cosme, Y. D. L. C., Laffita Lobaina, Y., Rodríguez Hung, A. M., & Copello Torres, A. (2010). Instrucción educativa sobre salud bucal en la Escuela Primaria" Lidia Doce Sánchez". Medisan, 14(2), 0-0.

9. Rives, M. (2020, 28 marzo). Taxonomía de Bloom al rescate. imaXinante.

10. González Sanz, Á. M., González Nieto, B. A., & González Nieto, E. (2013). Salud dental: relación entre la caries dental y el consumo de alimentos. Nutricion hospitalaria: organo oficial de la

La alimentación como factor predisponente de la caries dental

Sociedad Espanola de Nutricion Parenteral y Enteral, 28, 64–71. https://scielo.isciii.es/scielo. php?pid=S0212-16112013001000008&script=sci_arttext&tlng=en

11. "Nutrición". Autor: Equipo editorial, Etecé. De: Argentina. Para: Concepto.de. Disponible en: https://concepto.de/nutricion/. Última edición: 14 de julio de 2022. Consultado: 19 julio, 2024

12. Juan Armando Corbin. (2017, febrero 21). Los 12 tipos de nutrición y sus características. Portal Psicología y Mente. https://psicologiaymente.com/nutricion/tipos-nutricion

13. Prieto, P. B. (2020, diciembre 1). Los 10 tipos de Nutrición (y sus características). Medicoplus. com. https://medicoplus.com/nutricion/tipos-nutricion

14. Curiosoando.com (Actualizado el 22 junio, 2016). "¿Cuál es la diferencia entre alimento y nutriente?". Disponible en https://curiosoando.com/cual-es-la-diferencia-entre-alimento-y-nutriente

15. Prieto, P. B. (2021, octubre 6). Los 13 tipos de dietas (características y beneficios). Medicoplus. com. https://medicoplus.com/nutricion/tipos-dietas

16. Queraltó, C. D. J. (2021, junio 8). Hábitos alimenticios y su influencia en la aparición de caries dental. Clinica Dental Queralto Sevilla; Clínica Dental J. Queraltó. https://clinicaqueralto.com/ habitos-alimenticios-y-su-influencia-en-la-aparicion-de-caries-dental/

17. La caries dental. (s/f). Nih.gov. Recuperado el 20 de julio de 2024, de https://www.nidcr.nih. gov/espanol/temas-de-salud/la-caries-dental

18. Prieto, P. B. (2021, noviembre 3). Los 10 tipos de caries dentales (y sus características). Medicoplus.com. https://medicoplus.com/medicina-general/tipos-caries

19. Tipos de caries dental y tratamiento: todo lo que debes saber. (2023, julio 2). Coindental. https://www.coindental.mx/tipos-de-caries-dental-y-tratamiento/

20. Caries dentarias. (2024, marzo 16). Mayoclinic.org. https://www.mayoclinic.org/es/diseases-conditions/cavities/diagnosis-treatment/drc-20352898

21. Hernández Sampieri R, Fernández Collado C, Baptista Lucio P. Metodología de la Investigación. 6ª ed. México: McGraw-Hill; 2014

22. Davidson A. The Oxford Companion to Food. 1st ed. Oxford: Oxford University Press; 1999.

23. Abete, I., Cuervo, M., Alves, M., & Alfredo Martínez, J. (s/f). AUTORES. Sennutricion.org. Recuperado el 24 de julio de 2024, de https://www.sennutricion.org/media/Docs_Consenso/3-IDR_Poblaci__n_Espa__ola-FESNAD_2010_C1-Fundamentos_de_nutrici__n.pdf

24. The Editors of Encyclopedia Britannica. (2024). nutrient. En Encyclopedia Britannica.

25. Studocu.com. Disponible en: https://www.studocu.com/co/document/universidad-del-magdalena/cariologia/los-10-tipos-de-caries-dentales/31847399

Comparación de la resistencia al desprendimiento de brackets metálicos empleando 3 resinas

Comparación de la resistencia al desprendimiento de brackets metálicos empleando 3 resinas

M.E. Jessica Adriana Cámara-Urrutia1

Dra. Jacqueline Adelina Rodríguez-Chávez2

Dra. Abigailt Flores-Ledesma3

Dr. Hugo Marcelo Flores Ruiz4

Dr. Luis Pablo Cruz-Hervert5

Mtra. Silvia Paulina Martínez-Contreras6

1Residente de la Especialidad en Ortodoncia y Ortopedia Maxilar. Universidad Cuauhtémoc, San Luis Potosí.

2Profesora de la Especialidad en Ortodoncia. Departamento de Clínicas Odontológicas Integrales. Centro Universitario de Ciencias de la Salud. Universidad de Guadalajara.

3Profesora Investigadora. Coordinador del Laboratorio de Materiales y Biomateriales Dentales de la Facultad de Estomatología. Benemérita Universidad Autónoma de Puebla.

Introducción: el desprendimiento de brackets es uno de los problemas más importantes que se presentan durante el tratamiento de ortodoncia. Por ello, a lo largo de los años se han desarrollado diferentes tipos de adhesivos y resinas.

Objetivo: comparar la resistencia al desprendimiento de brackets metálicos empleando 3 resinas: Transbond™XT 3M™Unitek™, Bracepaste® Adhesive de American Orthodontics y EnlightTM Ormco. Material y Métodos: se utilizaron 60 premolares en 3 grupos (n=20), se utilizaron brackets metálicos Mini Master ROTH 0.022” American Orthodontics (área de base-10.42 mm2). Se realizó limpieza de la superficie vestibular, se grabó con ácido fosfórico al 37% por 15 segundos, se enjuagó con agua, se secó con aire libre de humedad y de aceite, a cada grupo se le realizó un protocolo distinto de adhesión usando 3 tipos de resina, se colocaron los brackets y se fotopolimerizó por 20 segundos. Una vez adheridos se montaron en resina acrílica y se conservaron a 37 °C por 24 horas,

posteriormente se realizó el ensayo de resistencia al desprendimiento en una máquina universal de pruebas mecánicas Instron. Se midió el índice de adhesivo remanente (ARI). Resultados: la resina Transbond™XT obtuvo el mayor valor con 24.52±5.41 MPa, EnlightTM con 20.05±3.43 MPa y Bracepaste® Adhesive 15.75±3.38 MPa. Se encontraron diferencias estadísticas entre todos los grupos (ANOVA p<0.05, pos hoc Tukey p<0.05). En cuanto al índice ARI, se observó que en el Bracepaste predominó el índice ARI 1 con el 80%; en Enlight un valor de 2 con 40%, 1 y 3 el 30%; finalmente Transbond XT, un índice 2 con el 50% y un índice 1 con el 40%. Conclusión: La resina TransbondTM XT presentó la mayor resistencia al desprendimiento superando a EnlightTM y Bracepaste® Adhesive, lo cual sugiere mayor eficacia adhesiva y potencial confiabilidad clínica.

Palabras clave: resistencia al desprendimiento, brackets, resinas, adhesivos.

4Profesor investigador. Departamento de Ciencias Naturales y Exactas. Centro Universitario de los Valles. Universidad de Guadalajara.

5Profesor de la División de Estudios de Posgrado e Investigación. Facultad de Odontología. Universidad Nacional Autónoma de México.

6Coordinadora y Profesora de la Especialidad en Ortodoncia y Ortopedia Dentomaxilofacial. Universidad Cuauhtémoc San Luis Potosí.

Debido al aumento en la demanda de los tratamientos de ortodoncia, los especialistas buscan poder ofrecer el tratamiento ideal para los pacientes en el tiempo adecuado, logrando los resultados esperados. Es importante que los brackets permanezcan adheridos a los dientes durante todo el tratamiento sin dañar la superficie del esmalte o desprenderse, ya que esto podría retrasar el tratamiento y generar costos adicionales e insatisfacción del paciente.1 La función principal de los brackets es transmitir al diente las fuerzas aplicadas para realizar los movimientos necesarios, por lo que su resistencia es una parte fundamental para el avance óptimo del tratamiento.2 Se ha registrado una prevalencia del 3.5% al 10% de fracasos en la adhesión de aditamentos como brackets, botones, etc.1

La unión entre el esmalte y los brackets debe resistir las fuerzas de masticación sin desplazarse, pero al mismo tiempo ser reversible y no causar daños estructurales en el tejido adamantino al terminar el tratamiento.3

El esmalte es un tejido duro, acelular y avascular, con un 96% de materia inorgánica (nanocristales de hidroxiapatita), 3 % de agua y 1 % de componente orgánico. El esmalte está compuesto por prismas del esmalte, que son estructuras organizadas en una matriz, lo que contribuye a su resistencia y dureza.4

Parte de la preparación de la superficie incluye el grabado ácido, el más común utilizado es el ácido ortofosfórico, que se introdujo desde 1955 por el Dr. Michael G. Buonocore,5 mejorando la adherencia al crear microretenciones en el esmalte, usando una concentración del 85% durante 30 segundos.

Actualmente para la adhesión de brackets se utiliza una concentración del 37% de ácido ortofosfórico durante 15 segundos, lo que crea microporosidades y una superficie irregular, para una mejor adhesión mecánica, seguido de abundante agua para eliminar residuos y detener el efecto del ácido y secar suavemente sin deshidratar para observar un efecto mate.6

Figura 1. Sistemas adhesivos.

Comparación de la resistencia al desprendimiento de brackets metálicos empleando 3 resinas

Buscando reducir el índice de desprendimiento de los brackets y mejorar la adhesión, se deben considerar factores que pueden afectar, como el sistema adhesivo, la preparación de la superficie del esmalte (limpieza previa y grabado), el diseño de la base del bracket, la técnica de colocación, la cantidad y dirección de las fuerzas, y por último la higiene del paciente.4

Las fuerzas máximas de resistencia al cizallamiento a las que con frecuencia se someten los brackets son de 5.9 MPa a 7.8MPa según estudios realizados por Reynolds; por lo tanto, la fuerza de adhesión no debe sobrepasar este límite.7

Estudios realizados por Bishara, utilizando diversos adhesivos entre ellos Transbond XT Unitek 3M, reportaron resistencias adhesivas entre 10.4 MPa y 11.8 MPa.8

En 1979 entraron los sistemas adhesivos compuestos por resina (Robert J. Newman), con su enfoque en la biocompatibilidad y el impacto de la adhesión en restauraciones duraderas.9

Según la literatura, el adhesivo Transbond XT ha sido ampliamente investigado y documentado. Bracepaste® Adhesive es un adhesivo relativamente nuevo. Sus principales componentes activos son BisEMA, bisfenol A-dimetacrilato etoxilado y TD (tetrametileno dimetacrilato). Su fabricante afirma una resistencia adhesiva comparable a la de Transbond XT, ya que los componentes Bis-GMA y sílice de cuarzo son similares.10

A continuación, se presenta un estudio in vitro donde se comparó la resistencia al desprendimiento de brackets metálicos de la marca American Orthodontics, usando 3 resinas diferentes Transbond™XT 3M™Unitek™, Bracepaste® Adhesive de American Orthodontics y EnlightTM Ormco.

Materiales y Métodos

Dientes. Se utilizaron 60 premolares superiores e inferiores, derechos e izquierdos extraídos por motivos ortodónticos, sin restauraciones previas, conservados posterior a la extracción en agua destilada a 4ºC, la cual

En 1979 entraron los sistemas adhesivos compuestos por resina (Robert J. Newman), con su enfoque en la biocompatibilidad y el impacto de la adhesión en restauraciones duraderas.

Calidad y dirección

Figura 2. Colocación de un bracket con resina TransbondTM XT. A. Limpieza con cepillo, B. Grabado con ácido fosfórico, C. Colocación de adhesivo, D. Colocación de resina sobre el bracket, E. Colocación del bracket sobre el diente, F. retiro de excedentes de resina, G. Fotopolimerizado del bracket

cambiada semanalmente para evitar el crecimiento bacteriano y se formaron 3 grupos de 20 c/u.

Brackets utilizados. Brackets metálicos de acero inoxidable para premolares Mini Master ROTH 0.022” American Orthodontics (Lote P0098196, REF 390-8407), con un área de la base de 10.42 mm2

Proceso de adhesión. Se utilizaron 3 resinas Transbond™XT 3M™Unitek™, Bracepaste® Adhesive de American Orthodontics y EnlightTM Ormco (Figura 1).

A cada premolar se le realizó una limpieza con pasta profiláctica sin flúor con un cepillo por 15 segundos (Figura

2A). Todos los dientes fueron grabados con ácido fosfórico (Medental) al 37% por 15 segundos (Figura 2B), después fueron enjuagados con abundante agua y secados con aire libre de humedad y de aceite, observando un aspecto mate en la superficie vestibular del diente. A cada grupo se le realizó un protocolo distinto de adhesión.

Grupo 1: una vez seca la superficie, se colocó con un microbrush una pequeña cantidad de OrthoSolo™ en una capa delgada y uniforme sobre la superficie vestibular, posteriormente, se colocó resina EnlightTM ORMCO (REF 7400195 LOT 9104148 27-06-2025) en la base del bracket, con ayuda de una pinza porta bracket se colocó el bracket al centro de la superficie vestibular

de diente, los excedentes fueron retirados con ayuda del explorador.

Grupo 2: una vez seca la superficie, se colocó con un microbrush una capa uniforme del adhesivo Transbond TM XT Adhesive Primer, Ligth Cure (3M Unitek REF 712-034) en la superficie vestibular (Figura 2C), posteriormente, se colocó resina Transbond™ XT (3M™Unitek™ LOT 9860930) en la malla del bracket (Figura 2D), con ayuda de una pinza porta bracket se colocó el bracket al centro de la superficie vestibular de diente (Figura 2E), los excedentes fueron retirados con ayuda del explorador (Figura 2F).

Grupo 3: una vez seca la superficie, se colocó con un microbrush una capa uniforme del adhesivo OrthoSolo™

en la superficie vestibular de la corona, posteriormente se colocó resina Bracepaste® Adhesive de American Orthodontics en la malla del bracket, con ayuda de una pinza porta bracket se colocó el bracket al centro de la superficie vestibular del diente, los excedentes de fueron retirados con ayuda del explorador.

Todos los brackets fueron polimerizados con lámpara fotocurado DTE Lux E Plus por 20 segundos (Figura 2G).

Una vez colocados los brackets, todos los dientes fueron montados en resina acrílica, dejando descubierta solamente la superficie vestibular de la corona, las muestras fueron almacenadas en un ambientador a 37 °C, sumergidos en agua bidestilada por 24 horas.

Figura 3. Resistencia a la adhesión. Se muestra la media y la línea de error representa la desviación estándar (ANOVA p<0.05, pos hoc Tukey p<0.05).

Figura 4. Índice de adhesivo remanente ARI.

Se observan diversas muestras una vez que se desprendieron los brackets, donde se aprecia el adhesivo remanente sobre el esmalte y la malla del bracket con las 3 resinas empleadas.

Ensayo de resistencia al desprendimiento: se realizó dicho ensayo a las 24 horas en una máquina universal de pruebas mecánicas Instron 4465 (Norwood, MA, USA), con una velocidad de carga de 1.0mm/min, simulando esfuerzos de cizallamiento en unidades de MPa.

Una vez desprendidos los brackets, se realizó la medición del índice de adhesivo remanente sobre el diente en un microscopio estereoscópico (Marca Ecxsa modelo XTD 3), a una magnificación de 30x, usando el índice ARI con su escala de 0 a 3 donde; 0 representa 0% del adhesivo remanente en el esmalte, 1 representa menos del 50% de adhesivo remanente en el esmalte, 2 más de 50% de adhesivo remanente en el esmalte y el 3 representa el 100% de adhesivo remanente sobre el esmalte.

Resultados

En cuanto a la resistencia al desprendimiento, se observó que la resina

Transbond™XT 3M™Unitek™, obtuvo el mayor valor con 24.52 ± 5.41 MPa, seguida de EnlightTM Ormco con 20.05 ± 3.43 MPa y finalmente Bracepaste® Adhesive de American Orthodontics con 15.75 ± 3.38 MPa. Se encontraron diferencias estadísticas entre todos los grupos (ANOVA p<0.05, pos hoc Tukey p<0.05) (Figura 1).

En cuanto al índice ARI, se observó que en el Bracepaste® Adhesive predominó el índice ARI 1 con el 80% de las muestras; en comparación con EnlightTM donde el índice 2 fue el predominante con 8 muestras, es decir el 40%, sin embargo, presentó 6 muestras tanto en índice 1 y 3; finalmente en TransbondTM XT, predominó el índice 2 con el 50% de las muestras, seguido del índice 1 con el 40% de las muestras (Tabla 1 y Figura 2). La prueba de chi cuadrada no pudo ser realizada, ya que hubo celdas con valor de 0.

Discusión

Los resultados del presente estudio muestran diferencias estadísticamente significativas en la resistencia al desprendimiento de brackets, al comparar las tres resinas ortodónticas evaluadas Transbond™XT, Bracepaste® Adhesive y EnlightTM.

La resina Transbond XT demostró la mayor resistencia con una media de 24.52 MPa, superando significativamente a Enlight 20.05 MPa y Bracepaste 15.75 MPa, lo que sugiere que TransbondTM XT podría ofrecer una mayor confiabilidad clínica en términos de adhesion. Este hallazgo concuerda con los resultados reportados por Dos Santos y cols.,1 quienes concluyeron que Transbond™ XT presentó un mejor desempeño adhesivo en comparación con otros sistemas, reduciendo el riesgo de fallos clínicos prematuros.

Al igual que Kerayechian y cols.,2 en su revisión sistemática, destacó la técnica de grabado convencional con el sistema Transbond™ XT, el cual genera

mayor resistencia de unión en comparación con sistemas autoacondicionantes. Estos resultados reafirman la influencia de la composición química, viscosidad y protocolo clínico sobre el rendimiento adhesivo de cada resina.

Shalini y cols.11 en su estudio utilizaron 120 premolares y resinas TransbondTM XT, Bracepaste® Adhesive y Heliosit para adherir los brackets. Obtuvieron valores de resistencia al desprendimiento para TransbondTM XT de 18.05 ± 5.6 MPa, Bracepaste de 16.6 ± 5.1 MPa y Heliosit de 16.2 ± 4.0 MPa. Este trabajo coincide con los valores más altos para TransbondTM XT, seguidos de Bracepaste® Adhesive, lo cual se atribuye a las similitudes de la metodología empleada, es decir: el grabado ácido, el tiempo de polimerización, el manejo posterior a la colocación de brackets (almacenamiento y la velocidad de resistencia al despedimiento de 1mm/min).

Mauricio F. y cols.12 evaluaron la resistencia al desprendimiento con Orthocem y Bracepaste® Adhesive, fotocurados con luz LED de diferentes longitudes de

Tabla 1. Índice ARI. Se muestran las frecuencias y entre paréntesis el porcentaje entre grupos.

onda (Bluephase N) en brackets metálicos, encontrando valores de 26.52 MPa para Bracepaste® Adhesive; no se coincide con este valor y se atribuye a las diferencias en la metodología, como el tiempo de desprendimiento, el cual fue realizado a las 48horas, mientras que en este estudio, se siguió la norma ISO 11405:2015.

Con respecto al índice ARI, se observaron patrones diferenciados entre los 3 grupos, en la resina Bracepaste predominó el índice ARI 1; en la resina Enlight los resultados fueron más heterogéneos, ya que se encontraron índices ARI 1, 2 y 3; y en la resina Transbond XT predominó el índice ARI 2. Este patrón puede ser clínicamente favorable, ya que como refiere Grazioli y cols., una distribución equilibrada del adhesivo en ambas superficies puede minimizar el riesgo de daño estructural en el esmalte.4 En conjunto, estos datos sugieren que Transbond XT proporciona mayor resistencia a

desprendimiento y presenta un comportamiento clínico, que podría facilitar su remoción, sin comprometer la estructura del esmalte.

Conclusión

La resina TransbondTM XT presentó la mayor resistencia al desprendimiento superando a EnlightTM y Bracepaste® Adhesive, lo cual sugiere mayor eficacia adhesiva y potencial confiabilidad clínica, sumado a eso, según los resultados del índice ARI, se indica que TransbondTM XT podría generar menor riesgo de daño en el esmalte durante el proceso de desprendimiento, lo cual podría ser relevante en la toma de decisiones clínicas al momento de seleccionar el adhesivo ortodóntico a utilizar. Sin embargo, se recomienda realizar estudios clínicos longitudinales, donde se consideren variables adicionales como las condiciones intraorales, la carga funcional y la higiene del paciente.

Referencias

1. Dos Santos AL, Wambier LM, Wambier DS, Moreira KM, Imparato JC, Chibinski AC. Orthodontic bracket bonding techniques and adhesion failures: A systematic review and meta-analysis. J Clin Exp Dent. 2022;14(9):e746-e755. DOI: 10.4317/jced.59768

2. Kerayechian N, Bardideh E, Bayani S. Comparison of self-etch primers with conventional acidetch technique for bonding brackets in orthodontics: a systematic review and meta-analysis. Eur J Orthod. 2022;44(4):385-395. DOI: 10.1093/ejo/cjab076

3. Grazioli G, Hardan L, Bourgi R, Nakanishi L, Amm E, Zarow M, et al. Residual Adhesive Removal Methods for Rebonding of Debonded Orthodontic Metal Brackets: Systematic Review and Meta-Analysis. Materials (Basel). 2021;14(20):6120. DOI: 10.3390/ma14206120

4. Malcangi G, Patano A, Morolla R, De Santis M, Piras F, Settanni V,et al. Analysis of Dental Enamel Remineralization: A Systematic Review of Technique Comparisons. Bioengineering (Basel). 2023;10(4):472. DOI: 10.3390/bioengineering10040472

5. Buonocore MG. A simple method of increasing the adhesion of acrylic filling materials to enamel surfaces. J Dent Res. 1955;34(6):849–853. DOI: 10.1177/00220345550340060801

6. Retief DH. The mechanical bond. Int Dent J. 1978;28(1):18-27.

7. Reynolds IR. A Review of Direct Orthodontic Bonding. Br J Orthod.1975;2(3):171-178. DOI: 10.1080/0301228X.1975.11743666

8. Bishara SE, Olsen ME, Damon P, Jakobsen JR. Evaluation of a new light-cured orthodontic bonding adhesive. Am J Orthod Dentofacial Orthop. 1998 Jul;114(1):80-87. DOI:10.1016/ s0889-5406(98)70242-2

9. Newman GV. Epoxy adhesives for orthodontic attachments: progress report. Am J of Orthod. 1965; 51:901–912. DOI:10.1016/0002-9416(65)90203-4

10. Shaikh S, Mirdehghan N, Kalia A, Hegde A, Joshi J, Khan AA. Comparison of shear bond strength and adhesive remnant index score of three different orthodontic adhesive systems with and without primer: An in vitro study. Int J Oral Health Dent. 2024;10(3):166–173. DOI: 10.18231/j. ijohd.2024.032

11. Shalini S, Jha A, Kashyap P, Gupta P, Rajbhoj S, Bhandari S. A Comparison of the Shear Bond Strength of Orthodontic Brackets Bonded With Different Orthodontic Adhesives. Cureus. 2023;15(5):e39115. DOI: 10.7759/cureus.39115

12. Mauricio F, Medina J, Mauricio-Vilchez C, Vilchez L, Mendoza R, Mayta-Tovalino F. Shear strength of metal brackets using LED lamps with different wavelengths: An in vitro comparative study. J Orthod Sci. 2023;12:47. DOI: 10.4103/jos.jos_15_23

Guante NITRILO

CAMPODENTAL Guante LÁTEX

Estado de salud periodontal en usuarios de metanfetamina y opioides: una revisión sistemática Parte 1

Estado de salud periodontal en usuarios de metanfetamina y opioides: una revisión sistemática

Sánchez-Muñoz Fabiola. Suárez-Vaquera Frida. Vázquez Honorato Juan Arturo Guerra Barberena Ana Lilia. Universidad Nacional Autónoma de México, Licenciatura en Odontología, Escuela Nacional de Estudios Superiores Unidad León, León Guanajuato, México.

Corresponding Author:Ana Lilia Guerra Barberena, aguerrab@enes.unam.mx

Siguiendo las recomendaciones PRISMA para revisiones sistemáticas, se identificaron las manifestaciones de la enfermedad periodontal en consumidores de opioides y se analizaron para determinar si existe un vínculo entre el estado de salud periodontal y el consumo. Los datos extraídos sobre opioides y enfermedad periodontal fueron recopilados de las bases de datos PubMed, ScienceDirect y Elicit.

En el análisis cualitativo de la información publicada sobre el estado de salud periodontal, se observó que los consumidores de opioides presentan una alta prevalencia de enfermedad periodontal (EP). Además, se identificó una posible relación entre la gravedad de la enfermedad y la cantidad de opioides consumidos.

Palabras clave: periodontal disease, opioids, methamphetamine, periodontitis, Opioid-related disorders.

Una definición formal y universal de “salud periodontal” fue establecida en 2018 por la World Workshop on the Classification of Periodontal and Peri-Implant Diseases and Conditions, describiéndola como la ausencia de inflamación detectable clínicamente.1 Considerando la definición de salud que ofrece la World Health Organization, la salud periodontal tiende a asociarse con la ausencia de signos y síntomas de enfermedad periodontal.2

Cuando se habla de enfermedad periodontal, se incluyen 2 manifestaciones principales: gingivitis, que se refiere a la inflamación limitada a la encía, y periodontitis, caracterizada por la destrucción progresiva del hueso alveolar y el ligamento periodontal, lo que provoca retracción gingival, formación de bolsa periodontal o ambas.3

Los opioides son un grupo de sustancias exógenas y endógenas conocidas por sus propiedades analgésicas.4 Han sido utilizados durante miles de años como tratamiento para el dolor y, en la actualidad, existen múltiples presentaciones disponibles para su uso clínico, como la morfina, hidromorfona, levorfanol, oxicodona y fentanilo.5

Además de sus efectos analgésicos, los opioides tienen la capacidad de activar los neurocircuitos cerebrales de recompensa, lo que puede conducir al desarrollo de trastorno por consumo de opioides.6 Datos del Centro Nacional de Estadísticas muestran que,

en 2018, las muertes por sobredosis de opioides sintéticos fueron un 10% mayores que el año anterior en Estados Unidos.7

En el ámbito odontológico, hay evidencia que sugiere que la prescripción de opioides por parte de los dentistas podría estar vinculada con el posterior desarrollo de abuso de estas sustancias.8 Asimismo, se ha observado una relación entre la negligencia y pobreza que enfrentan los consumidores de opioides y su alta prevalencia de caries dental y enfermedad periodontal.9

Aunque en los últimos años la epidemia de opioides ha ganado gran relevancia, el consumo de metanfetamina también ha aumentado significativamente a nivel mundial.10 Estudios recientes indican que la metanfetamina es la segunda droga de uso recreativo más frecuente, solo después del cannabis.11 Esta sustancia actúa sobre el sistema nervioso central aumentando la liberación de dopamina, norepinefrina y serotonina.12 Existen investigaciones que sugieren una relación entre el consumo de metanfetamina y una reducción de la función salival, que se manifiesta en xerostomía extensa, aumento de la acidez salival y disminución de la capacidad buffer, lo que resulta en una mayor incidencia de lesiones cariosas y bolsas periodontales.13

Objetivo

Identificar las manifestaciones clínicas de enfermedad periodontal asociadas

Paciente/Problema/Población

Estado de salud periodontal en usuarios de metanfetamina y opioides: una revisión sistemática

Usuarios de opioides No aplica No aplica

al consumo de opioides a través de una revisión sistemática, con el fin de conocer la influencia del consumo de opioides exógenos en el estado de salud periodontal.

Materiales y métodos

Pregunta de investigación: ¿Cuáles son las manifestaciones clínicas de enfermedad periodontal en usuarios de opioides que pueden asociarse al consumo?

Criterios de elegibilidad: Se incluyeron artículos científicos de estudios primarios en inglés, publicados en los últimos 6 años, cuya población de estudio fueran usuarios de opioides (por prescripción médica o uso recreativo) y en los que se evaluara específicamente el estado de salud bucal, manifestaciones o alteraciones en cavidad oral, incluyendo o evaluando exclusivamente el estado de salud periodontal.

Criterios de exclusión: Se excluyeron artículos publicados hace más de 6 años, en idiomas distintos al inglés, cuya población de estudio no fueran usuarios de opioides y en los que no se evaluara específicamente el estado de salud bucal, manifestaciones o alteraciones en cavidad oral, incluyendo o evaluando exclusivamente el estado de salud periodontal.

Prevalencia de manifestaciones clínicas de enfermedad periodontal en usuarios de opioides (profundidad de la bolsa, recesión gingival, pérdida de inserción)

Estrategia de búsqueda

La búsqueda se realizó entre el 1 y el 8 de abril de 2024 en las bases de datos ScienceDirect, PubMed y Elicit. En ScienceDirect, los términos utilizados fueron (methamphetamine AND periodontitis) y (opioids AND "periodontal health"), aplicando los filtros "full text" y "open access", y limitando los resultados a publicaciones desde 2018 hasta la fecha. En PubMed, los términos empleados fueron (opioids AND periodontium), utilizando los filtros "full text" y de temporalidad para excluir artículos publicados antes de 2018. En Elicit, se usaron los términos (opioids AND "periodontal disease"), aplicando el mismo criterio temporal de los otros motores de búsqueda, considerando solo artículos publicados en los últimos 6 años.

Selección de los estudios

Los estudios se seleccionaron con base en los criterios de inclusión y exclusión. Se aplicaron filtros por tipo de estudio para descartar revisiones sistemáticas y por año de publicación (artículos con una antigüedad no mayor a 6 años). Finalmente, se eligieron aquellos considerados más adecuados según su título y contenido.

Estudios primarios: Cross-sectional study, case-control study

Tabla 1. Acrónimos PICOS.

Investigación clínica

Identificación

Artículos encontrados a través de Pubmed (n=4)

Artículos encontrados a través de Science Direct (n=43)

Artículos encontrados a través de Elicit (n=16)

Tamizaje

Artículos después de aplicar el filtro “No review article (n=12)”

Artículos seleccionados (n=9)

Artículos excluidos (n=3)

Elegibilidad

Artículos de texto evaluados por elegibilidad (n=3)

Artículos de texto completamente excluidos (n=6)

Incluidos

Estudios incluidos en la síntesis cualitativa (n=3)

2. Diagrama PRISMA.

Figura

Evaluación de la calidad metodológica

Estado de salud periodontal en usuarios de metanfetamina y opioides: una revisión sistemática

Para evaluar la calidad metodológica de los estudios, se utilizó la herramienta GRADE (Grade of Recommendation, Assessment, Development, and Evaluation), la cual permite analizar la calidad de la evidencia en la literatura médica. Esta evaluación considera diversos factores, como la inconsistencia de los resultados, el riesgo de sesgo y la aleatorización, entre otros aspectos. Posteriormente, la calidad de los estudios se clasifica en alta, moderada, baja o muy baja.10

Resultados

El diagrama PRISMA muestra que se obtuvo un total de 63 artículos, de los cuales 51 fueron excluidos por no cumplir el criterio (no review article).

Tras la lectura y aplicación de los criterios de exclusión a los 11 artículos restantes, se seleccionaron finalmente 3 estudios: 2 de tipo cross-sectional y 1 case-control study, cada uno obtenido de una base de datos distinta.

Para evaluar la calidad metodológica de los estudios, se utilizó la herramienta GRADE (Grade of Recommendation, Assessment, Development, and Evaluation), la cual permite analizar la calidad de la evidencia en la literatura médica.

Referencias

1. Chapple ILC, Mealey BL, Van Dyke TE, Bartold PM, Dommisch H, Eickholz P, et al. Periodontal health and gingival diseases and conditions on an intact and a reduced periodontium: Consensus report of workgroup 1 of the 2017 World Workshop on the Classification of Periodontal and Peri-Implant Diseases and Conditions. J Periodontol. 2018;89(December 2017):S74–84.

2. Mariotti A, Hefti AF. Defining periodontal health. BMC Oral Health. 2015;15(1):1–18.

3. G. Caton J, Armitage G, Berglundh T, Chapple ILC, Jepsen S, S. Kornman K, et al. A new classification scheme for periodontal and peri-implant diseases and conditions – Introduction and key changes from the 1999 classification. J Clin Periodontol. 2018;45(March):S1–8.

Investigación clínica

4. Pacheco CMF, Queiroz-Junior CM, Maltos KLM, Pacheco DF, Silva TA, Albergaria JDS. Endogenous opioids regulate alveolar bone loss in a periodontal disease model. Life Sci [Internet]. 2013;93(12–14):471–7. Available from: http://dx.doi.org/10.1016/j.lfs.2013.08.007

5. Trescot AM, Datta S, Lee M, Hans H. Opioid pharmacology. Pain Physician. 2008;11(SPEC. ISS. 2):133–54.

6. Strang J, Volkow ND, Degenhardt L, Hickman M, Johnson K, Koob GF, et al. Opioid use disorder. Nat Rev Dis Prim [Internet]. 2020;6(1). Available from: http://dx.doi.org/10.1038/s41572-019-0137-5

7. Mielau J, Vogel M, Gutwinski S, Mick I. New Approaches in Drug Dependence: Opioids. Curr Addict Reports. 2021;8(2):298–305.

8. Schroeder AR, Dehghan M, Newman TB, Bentley JP, Park KT. Association of Opioid Prescriptions from Dental Clinicians for US Adolescents and Young Adults with Subsequent Opioid Use and Abuse. JAMA Intern Med. 2019;179(2):145–52.

9. Dai Z, Abate MA, Groth CP, Rucker T, Kraner JC, Mock AR, et al. Fentanyl and other opioid involvement in methamphetamine-related deaths. Am J Drug Alcohol Abuse [Internet]. 2022;48(2):226–34. Available from: https://doi.org/10.1080/00952990.2021.1981919

10. Kevil, C. G., Goeders, N. E., Woolard, M. D., Bhuiyan, Md. S., Dominic, P., Kolluru, G. K., Arnold, C. L., Traylor, J. G., & Orr, A. W. (2019). Methamphetamine Use and Cardiovascular Disease. Arteriosclerosis, Thrombosis, and Vascular Biology, 39(9), 1739–1746. https://doi.org/10.1161/ atvbaha.119.312461

11. Kevil, C. G., Goeders, N. E., Woolard, M. D., Bhuiyan, Md. S., Dominic, P., Kolluru, G. K., Arnold, C. L., Traylor, J. G., & Orr, A. W. (2019). Methamphetamine Use and Cardiovascular Disease. Arteriosclerosis, Thrombosis, and Vascular Biology, 39(9), 1739–1746. https://doi.org/10.1161/ atvbaha.119.312461

12. Aguayo-albasini L, Vı BF pastor. Sistema GRADE : clasificación de la fuerza de la evidencia y graduación recomendación. Cirugía Española. 2016;92(2):82–8.

13. J. Clague, T.R. Belin, V. ShettyMechanisms underlying methamphetamine-related dental diseaseJ. Am. Dent. Assoc. (1939), 148 (6) (2017), pp. 377-386, 10.1016/j.adaj.2017.02.054

14. Spolsky VW, Clague J, Murphy DA, Vitero S, Dye BA, Belin TR, et al. Periodontal status of current methamphetamine users. J Am Dent Assoc [Internet]. 2018;149(3):174–83. Available from: https://doi.org/10.1016/j.adaj.2017.10.017

15. Parvaei P, eydzadeh M, Osmani F. Can the salivary urea and stimulated saliva concentration be a marker of periodontal diseases in opioid users? A case-control study. Heliyon [Internet]. 2023;9(7):e17093. Available from: https://doi.org/10.1016/j.heliyon.2023.e17093

16. 16. Shekarchizadeh H, Khami MR, Mohebbi SZ, Ekhtiari H, Virtanen JI. Oral health status and its determinants among opiate dependents: A cross-sectional study. BMC Oral Health. 2019;19(1):3–9.

Implantes y propiocepción: la importancia de preservar dientes clave en pacientes con enfermedad periodontal avanzada

Implantes y propiocepción: la importancia de preservar dientes clave en pacientes con enfermedad periodontal avanzada.

Caso clínico con un seguimiento de 20 años

Eduardo Anitua DDS, MD, PhD. Práctica privada en implantología oral, Clínica Eduardo Anitua, Vitoria, España. University Institute for Regenerative Medicine and Oral Implantology - UIRMI (UPV/EHU Fundación Eduardo Anitua), Vitoria, Spain BTI Biotechnology institute, Vitoria, España.

Corresponding author: Dr. Eduardo Anitua, Fundación Eduardo Anitua; C/ Jose Maria Cagigal 19, 01007 Vitoria, Spain; Phone: +34 945160653, e-mail: eduardo@ fundacioneduardoanitua.org.

La enfermedad periodontal (EP) es una patología crónica de origen infeccioso e inflamatorio que afecta los tejidos de soporte dentario, agrupados bajo el término periodonto.1,2 Esta condición resulta de una compleja interacción entre la microbiota subgingival y la respuesta inmunitaria del huésped, influida por factores genéticos y ambientales diversos.3 Si bien las bacterias periodontopatógenas constituyen el desencadenante primario, como lo establecieron Lindhe et al y Widemann et al., su presencia no basta para explicar la progresión de la enfermedad en todos los pacientes.4,5

Uno de los determinantes clave para el desarrollo de EP es la higiene oral, ya que incide directamente en la acumulación bacteriana. Sin embargo, trabajos experimentales han evidenciado que la sola acumulación de placa no garantiza la aparición de periodontitis,

lo cual refuerza la naturaleza multifactorial de la enfermedad.6 En este contexto, abordar integralmente los factores modificables —como el control de la biopelícula, la cesación tabáquica y el manejo de enfermedades sistémicas— resulta esencial para detener su progresión y preservar la dentición natural.7

El control efectivo de la inflamación periodontal es un pilar terapéutico fundamental para lograr resultados

estables a largo plazo en pacientes con periodontitis.7–10 Aun en cuadros avanzados, conservar dientes con tratamiento periodontal intensivo puede generar beneficios tanto funcionales como psicológicos. Es frecuente optar por la exodoncia de piezas comprometidas y su sustitución mediante implantes dentales,11 pero estudios han demostrado que dientes con periodontitis agresiva pueden mantenerse funcionales durante más de una década con el abordaje adecuado.12,13

Una consideración relevante en este tipo de tratamientos es la conservación de la propiocepción, función neurosensorial que se pierde en rehabilitaciones completas implanto-soportadas.14-17 reservar dientes estratégicos —como caninos— puede contribuir al mantenimiento de las guías funcionales y a una mejor modulación de las cargas masticatorias. Además, el valor subjetivo que representa para el paciente conservar parte de su dentición natural no debe subestimarse.

En el presente caso clínico se describe el paso a paso del tratamiento en una paciente con periodontitis avanzada, conservando piezas clave estratégicas y mostrando la evolución en el tiempo con un seguimiento de hasta 20 años.

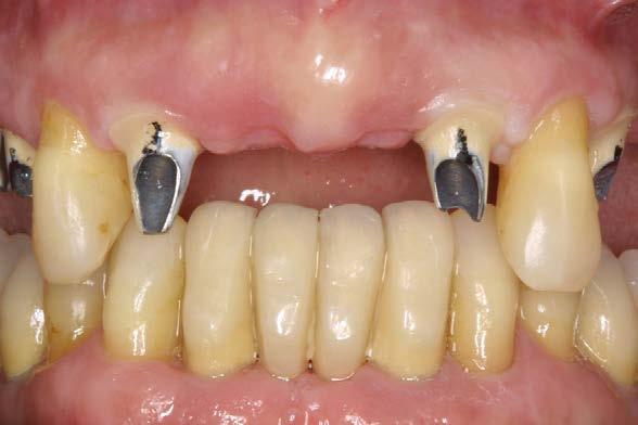
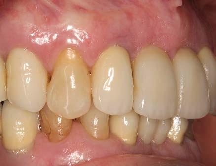
Figuras 2-3. Imágenes intraorales que evidencian pérdida ósea generalizada, extrusión de dientes anteriores y recesiones en todas las piezas presentes.

Caso clínico

Se presenta el caso de una mujer de 65 años con diagnóstico de periodontitis severa al inicio del tratamiento. El examen clínico evidenció pérdida

Figura 1. Radiografía panorámica inicial que muestra la enfermedad periodontal avanzada de la paciente, con ausencia de varias piezas dentales y otras de mal pronóstico.

Implantes y propiocepción: la importancia de preservar dientes clave en pacientes con enfermedad periodontal avanzada

ósea vertical generalizada, defectos angulares en sectores posteriores y múltiples ausencias dentarias en ambos maxilares. La inspección intraoral mostró recesiones gingivales, exposición radicular y colapso del tercio anterior como consecuencia de migración dentaria y pérdida de soporte (Figura 1-3).

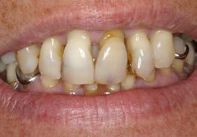
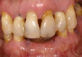
En la fase inicial del tratamiento se priorizó un enfoque conservador. Se realizaron las exodoncias de las piezas con pronóstico irrecuperable y se procedió a la preservación de los alvéolos mediante PRGF-Endoret, según la técnica descrita por Anitua et al.18 Los dientes remanentes fueron ferulizados temporalmente para servir como provisionales, favoreciendo la estabilidad hasta la colocación de los implantes tras la cicatrización (Figura 4 y 5).

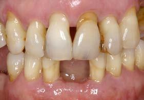
Pasadas 4 semanas, se colocaron los implantes dentales en un momento en que se observaba regeneración ósea incipiente y cierre completo de los tejidos blandos. Tras un periodo

de osteointegración de 6 meses en el maxilar y 3 en la mandíbula, se inició la fase protésica definitiva. En ese momento, la opción preferida fue el uso de pilares personalizados cementados con recubrimiento cerámico. Esta alternativa terapéutica fue la elección para lograr una correcta estética y un sellado adecuado prótesis-implante, con un menor número de complicaciones asociadas. Actualmente, se optaría por una prótesis atornillada, debido a sus ventajas en cuanto a posibilidad de retratamiento, sellado y control de los tejidos.19-21

En la zona anterior maxilar se realizaron pruebas estéticas detalladas, optimizando aspectos como líneas medias, troneras y pónticos (Figura 6-8). En el arco inferior, se conservaron los

Figura 4. Radiografía tras la primera fasae del tratamiento, con exodoncias realizadas y ferulización de dientes remanentes.

Figura 5. Aspecto intraoral posterior a las extracciones y a la ferulización de los dientes remanentes en el sector anterior superior, con el objetivo de mantener la estética durante la cicatrización. Las piezas conservadas fueron sometidas a tratamiento periodontal mediante raspado y alisado radicular, seguido de un programa de mantenimiento y control riguroso de placa en el postoperatorio.

con adecuación de los

blandos y presión controlada en la zona de los pónticos para favorecer la creación de una nueva arquitectura gingival.

caninos y premolares mediante tratamiento periodontal intensivo. Esta decisión favoreció la integración funcional de dientes e implantes, manteniendo la propiocepción y mejorando el control de posibles sobrecargas funcionales como el bruxismo.22-24

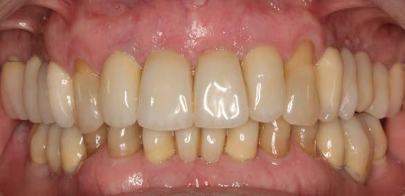
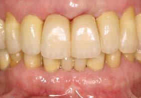
La paciente continúa en seguimiento. A los 8 años, la estabilidad de los tejidos duros y blandos, así como la estética de la rehabilitación, era completa (Figura 9-11). A los 12 años se observó

una buena progresión del tratamiento, sin cambios reseñables (Figura 1214). A los 20 años de seguimiento se constató una evolución estable, sin pérdida ósea en dientes ni implantes, y con buena salud de los tejidos periimplantarios (Figura 15-17).

En este contexto, también se analizó la distribución de implantes por cuadrante: 2, 3 o 4. Tal como se ha demostrado en investigaciones previas de nuestro grupo de estudio, no se

Figura 6. Prueba de los postes y ajustes hasta lograr una correcta estética de la prótesis sobre implantes.
Figura 7. Colocación de la prótesis
tejidos
Figura 8. Imagen de sonrisa con la prótesis finalizada.

observaron diferencias clínicas significativas entre estas configuraciones en cuanto a pérdida ósea o comportamiento tisular, lo cual se ve claramente reflejado en este caso clínico con seguimiento a largo plazo.19-21

Discusión

La relación entre enfermedad periodontal y periimplantitis ha sido objeto de debate, dado que comparten mecanismos etiológicos y factores de riesgo comunes.25-27 Sin embargo,

diversos estudios han demostrado que pacientes con periodontitis severa pueden beneficiarse de rehabilitaciones con implantes sin necesidad de eliminar todos los dientes afectados.11,27 La clave radica en una correcta estrategia de mantenimiento a largo plazo y en el abordaje integral de factores modificables como higiene, tabaquismo y patologías sistémicas.28-30

Conservar piezas naturales en tratamientos combinados tiene implicaciones

Figuras 9-10. Imágenes de seguimiento clínico a los 8 años.

Implantes y propiocepción: la importancia de preservar dientes clave en pacientes con enfermedad periodontal avanzada

Figura 11. Radiografía a los 8 años de seguimiento, que muestra estabilidad de los tejidos duros con el tratamiento realizado.

Figuras 12-13. Imágenes que muestran el mantenimiento de los tejidos blandos y la estética a los 12 años.

Figura 14. Radiografía a los 12 años de seguimiento, con comportamiento estable de dientes e implantes.

no solo clínicas, sino también sensoriales y psicológicas.16,17,31,32 La propiocepción que brindan los dientes remanentes mejora la distribución de fuerzas y facilita el control funcional. Esta ventaja se potencia cuando los dientes preservados forman parte de guías funcionales clave, como los caninos.33,34

Además, los dientes unirradiculares suelen presentar una mejor respuesta al tratamiento periodontal en casos de EP avanzada, ya que su anatomía es más accesible para el control mecánico y presentan menor afectación en furcaciones.35,36 Como se evidenció en este caso, el compromiso del paciente, junto con un seguimiento clínico riguroso y personalizado, fue determinante para lograr estabilidad a largo plazo. 37

Figuras 15-16. Imágenes intraorales a los 20 años de seguimiento.
Figura 17. Radiografía final que evidencia la estabilidad completa de los tratamientos a los 20 años.

Implantes y propiocepción: la importancia de preservar dientes clave en pacientes con enfermedad periodontal avanzada

Conclusiones

La combinación de tratamientos implantológicos con un enfoque periodontal conservador puede ser eficaz en pacientes con enfermedad periodontal avanzada, siempre que se mantenga una supervisión profesional estricta y una alta implicación por parte del paciente. La conservación de dientes clave no solo aporta beneficios funcionales

y sensoriales, sino que también facilita un reparto más equilibrado de las cargas oclusales.

Asimismo, en términos de planificación, la cantidad de implantes por cuadrante (2, 3 o 4) no mostró diferencias clínicamente significativas en pérdida ósea a los 20 años, lo que respalda la flexibilidad terapéutica basada en las necesidades individuales del paciente.

Referencias

1. Highfield J. Diagnosis and classification of periodontal disease. Aust Dent J. 2009 Sep;54 Suppl 1:S11-26.

2. Armitage GC. Development of a classification system for periodontal diseases and conditions. Northwest Dent. 2000 Nov-Dec;79(6):31-5.

3. Spangler L, Chaudhari M, Barlow WE, Newton M, Inge R, Hujoel P, Genco and Robert JG Reid Robert J. Using administrative data for epidemiological research: case study to identify persons with periodontitis. Periodontology 2000, Vol. 58, 2012, 143–152.

4. Lindhe J, Ericsson I. Effect of ligature placement and dental plaque on periodontal tissue breakdown in the dog.J Periodontol. 1978;49:343-50

5. Wiedemann W, Ketterle A, Naujoks R. [Dental studies on the protective effect of breast feeding] Dtsch Zahnarztl Z. 1979;34:427-9.

6. Loe H, Anerud A, Boysen H, Morrison E Natural history of periodontal disease in man. Rapid, moderate and no loss of attachment in Sri Lankan laborers 14 to 46 yearsof age. J Clin Periodontol. 1986;13: 431-45.

7. Manresa C, Sanz-Miralles EC, Twigg J, Bravo M. Supportive periodontal therapy (SPT) for maintaining the dentition in adults treated for periodontitis. Cochrane Database Syst Rev. 2018 Jan 1;1(1):CD009376.

8. Pich J. Supportive periodontal therapy for maintaining dentition in adults treated for periodontitis. Br J Community Nurs. 2019 Sep 2;24(9):450-451.

9. Kinane DF, Stathopoulou PG, Papapanou PN. Periodontal diseases. Nat Rev Dis Primers. 2017 Jun 22;3:17038.

10. Krishna R, De Stefano JA. Ultrasonic vs. hand instrumentation in periodontal therapy: clinical outcomes. Periodontol 2000. 2016 Jun;71(1):113-27.

11. Clark D, Levin L. In the dental implant era, why do we still bother saving teeth? Dental Traumatology. 2019;35:368–375.

12. Graetz C, Dörfer CE, Kahl M, Kocher T, Fawzy El-Sayed K, Wiebe JF, et al. Retention of questionable and hopeless teeth in compliant patients treated for aggressive periodontitis. J Clin Periodontol. 2011;38:707–14.

13. Ioannou AL, Kotsakis GA, Hinrichs JE. Prognostic factors in periodontal therapy and their association with treatment outcomes. World J Clin Cases. 2014;2:822–7.

14. Curtis DA, Sharma A, Finzen FC, Kao RT. Occlusal considerations for implant restorations in the partially edentulous patient. J Calif Dent Assoc. 2000 Oct;28(10):771-9.

15. Taylor TD, Wiens J, Carr A. Evidence-based considerations for removable prosthodontic and dental implant occlusion: a literature review. J Prosthet Dent. 2005 Dec;94(6):555-60.

16. Meyer G, Fanghänel J, Proff P. Morphofunctional aspects of dental implants. Ann Anat. 2012 Mar 20;194(2):190-4.

17. Hsieh WW, Luke A, Alster J, Weiner S. Sensory discrimination of teeth and implant-supported restorations. Int J Oral Maxillofac Implants. 2010 Jan-Feb;25(1):146-52.

18. Anitua E, Murias-Freijo A, Alkhraisat MH, Orive G. Clinical, radiographical, and histological outcomes of plasma rich in growth factors in extraction socket: a randomized controlled clinical trial. Clin Oral Investig. 2015 Apr;19(3):589-600.

19. Anitua E, Alkhraisat MH. Clinical Performance of Short Dental Implants Supporting Single Crown Restoration in the Molar-Premolar Region: Cement Versus Screw Retention. Int J Oral Maxillofac Implants. 2019 July/August;34(4):969–976.

20. Anitua E, Fernández-de-Retana S, Alkhraisat MH. Survival and Marginal Bone Loss of Dental Implants Supporting Cad-Cam Angled Channel Restorations: A Split-Mouth Retrospective Study. Eur J Dent. 2020 Mar;14(2):194-199.

21. Anitua E, Alkhraisat MH, Orive G. Novel technique for the treatment of the severely atrophied posterior mandible. Int J Oral Maxillofac Implants. 2013 Sep-Oct;28(5):1338-46.

22. Sadowsky SJ. Occlusal overload with dental implants: a review. Int J Implant Dent. 2019 Jul 23;5(1):29.

Implantes y propiocepción: la importancia de preservar dientes clave en pacientes con enfermedad periodontal avanzada

23. Kim Y, Oh TJ, Misch CE, Wang HL. Occlusal considerations in implant therapy: clinical guidelines with biomechanical rationale. Clin Oral Implants Res. 2005 Feb;16(1):26-35.

24. Sheridan RA, Decker AM, Plonka AB, Wang HL. The Role of Occlusion in Implant Therapy: A Comprehensive Updated Review. Implant Dent. 2016 Dec;25(6):829-838.

25. Caton JG, Armitage G, Berglundh T, Chapple ILC, Jepsen S, Kornman KS, Mealey BL, Papapanou PN, Sanz M, Tonetti MS. A new classification scheme for periodontal and peri-implant diseases and conditions - Introduction and key changes from the 1999 classification. J Clin Periodontol. 2018 Jun;45 Suppl 20:S1-S8.

26. Ivanovski S, Lee R. Comparison of peri-implant and periodontal marginal soft tissues in health and disease. Periodontol 2000. 2018 Feb;76(1):116-130.

27. Slots J. Periodontitis: facts, fallacies and the future. Periodontol 2000. 2017 Oct;75(1):723. Amerio E, Mainas G, Petrova D, Giner Tarrida L, Nart J, Monje A. Compliance with supportive periodontal/peri-implant therapy: A systematic review. J Clin Periodontol. 2020 Jan;47(1):81-100.

28. Johnson TM. Smoking and periodontal disease. US Army Med Dep J. 2017 Oct-Dec;(3-17):67-70.

29. Bascones-Martínez A, González-Febles J, Sanz-Esporrín J. Diabetes and periodontal disease. Review of the literature. Am J Dent. 2014 Apr;27(2):63-7.

30. Herring ME, Shah SK. Periodontal disease and control of diabetes mellitus. J Am Osteopath Assoc. 2006 Jul;106(7):416-21.

31. Craddock HL. Consequences of tooth loss (Part 1): The patient perspective--aesthetic and functional implications. SADJ. 2010 Jul;65(6):242, 244-5.

32. Berman CL, Berman LG. The psychological implications of tooth loss. Dent Clin North Am. 1969 Oct;13(4):961-6.

33. Miralles R. Canine-guide Occlusion and Group Function Occlusion are Equally Acceptable When Restoring the Dentition. J Evid Based Dent Pract. 2016 Mar;16(1):41-3.

34. Abduo J, Tennant M. Impact of lateral occlusion schemes: A systematic review. J Prosthet Dent. 2015 Aug;114(2):193-204.

35. McGuire MK. Prognosis versus actual outcome: a long-term survey of 100 treated periodontal patients under maintenance care. J Periodontol. 1991 Jan;62(1):51-8.

36. Fardal Ø, Johannessen AC, Linden GJ. Tooth loss during maintenance following periodontal treatment in a periodontal practice in Norway. J Clin Periodontol. 2004 Jul;31(7):550-5.

37. Checchi L, Montevecchi M, Gatto MR, Trombelli L. Retrospective study of tooth loss in 92 treated periodontal patients. J Clin Periodontol. 2002 Jul;29(7):651-6.

Innovación dental y tecnología, clave para

redefinir el rumbo de la salud bucal en México

CIUDAD DE MÉXICO, 5 de septiembre 2025. La edición 2025 del Dentsply Sirona World, el principal evento de educación clínica dental organizado por Dentsply Sirona, se llevó a cabo en la Ciudad de México los días 4 y 5 de septiembre, reuniendo a más de 500 participantes y contando con la intervención de expertos nacionales e internacionales que destacaron las oportunidades tecnológicas para la industria odontológica. Durante el evento, Dentsply Sirona presentó Primescan® 2, la primera solución de escaneo intraoral nativo en la nube.

En México, la aparición y el uso de tecnología de vanguardia pueden marcar una diferencia significativa en la mejora de la salud bucal, pues las enfermedades dentales siguen siendo una de las condiciones más comunes, afectando a más del 90% de la población con caries o enfermedad periodontal, de acuerdo con datos del Sistema de Vigilancia Epidemiológica de Patologías Bucales (SIVEPAB) y el Sistema de Información en Salud Nacional

(SINAIS). Ante esta realidad, la innovación tecnológica surge como una clave para transformar los resultados en salud bucal.

DS World es una experiencia inmersiva y educativa que presenta a los ponentes líderes de la industria y la innovación digital, diseñada para ayudar a los profesionales dentales a orientar su práctica y mejorar la atención hacia los pacientes.

Con este propósito y en el marco de DS World 2025 “Restaurando sonrisas: del diagnóstico a la estética final,” los expertos coincidieron en que la innovación tecnológica es un factor determinante para revertir esta tendencia.

Como parte de su compromiso, durante el evento Dentsply Sirona anunció el prelanzamiento de Primescan® 2, su primera solución de escaneo intraoral nativo en la nube. Impulsado por la plataforma DS Core, esta innovación permite el escaneo directo desde cualquier dispositivo conectado a

internet, ofrece mayor versatilidad y eficiencia en los flujos de trabajo diarios. En México, estará disponible a partir de finales de este año.

“Actualmente es necesario contar con equipos, materiales y sistemas avanzados que permitan a los dentistas realizar procedimientos más precisos y seguros, optimizando el tiempo, mejorando los resultados clínicos y ampliando el acceso a tratamientos de calidad. Esta tecnología es un ejemplo de las soluciones que estamos impulsando para mantener a las prácticas dentales a la vanguardia, ofreciendo simplicidad y eficiencia a los profesionales dentales,” aseguró Giuseppe Iacobellis, director general de Dentsply Sirona para México, durante su participación en el evento.

Esta solución de escaneo intraoral no solo mejora la eficiencia operativa, sino que también eleva la calidad de atención del paciente al incorporar funciones avanzadas, tales como

la detección integrada de caries mediante fluorescencia y tecnología de infrarrojo cercano, y un diseño ergonómico que facilita el acceso a áreas de difícil alcance. Su velocidad permite el escaneo completo del arco en menos de 1 minuto y la integración con DS Core asegura que el software esté siempre actualizado, simplificando la gestión de datos y la colaboración entre profesionales.

Livia Moretti, odontóloga y gerente de Educación Clínica para Dentsply Sirona LATAM, aseguró que este tipo de avances tecnológicos “son una herramienta importante para realizar diagnósticos más precisos, tratamientos más cómodos y una comunicación efectiva. Esto resulta especialmente relevante en México, al ser un país en el que la mitad de los niños de entre 6 y 12 años presentan caries, así como 7 de cada 10 jóvenes, lo que representa un desafío urgente para la salud pública y una oportunidad para repensar el modelo de atención odontológica.”

Además, se destacó la importancia de establecer alianzas estratégicas con actores privados que impulsen la innovación en productos para facilitar una atención inmediata y de calidad, atendiendo a un mayor número de personas y mejorando significativamente las condiciones de salud bucal de la población mexicana.

Ante este panorama, este lanzamiento refuerza el compromiso de Dentsply Sirona con la innovación para una mejor salud bucal y posiciona a DS World como un foro esencial para el crecimiento de las prácticas dentales, así como para promover la educación, la capacitación, la tecnología y las soluciones que transforman la salud bucal en el país.

Dentsply Sirona considera que el acceso equitativo a servicios dentales de calidad debe ser una prioridad en salud; por ello, el compromiso de la compañía es colaborar no solo con los profesionales, sino también con instituciones y gobiernos para promover la prevención, capacitar al personal y dotarlo de herramientas de última generación.

Innovación dental y tecnología, clave para redefinir el rumbo de la salud bucal en México

Para responder a este momento de transformación, DS World encabeza la conversación reuniendo a profesionales dentales de alto nivel y ofreciendo un espacio único donde la comunidad dental y los actores clave del sector se puedan unir para compartir conocimientos y construir juntos un futuro de atención bucal más avanzado en México.

La edición 2025 ofreció una experiencia educativa de alto nivel a través de conferencias impartidas por reconocidos expertos internacionales, quienes abordaron temas que incluían radiología, endodoncia, implantología digital, estética y reconstrucción dental.

Esta agenda diversa y completa brindó a los asistentes conocimientos de vanguardia y avances prácticos en áreas clave de la odontología, asegurando un futuro cada vez más prometedor para este campo de la salud y reiterando el compromiso de Dentsply Sirona en ofrecer soluciones innovadoras a la región de LATAM.

Referencias

1. Universidad Nacional Autónoma de México. Consultado el 31 de julio de 2025 desde: https:// www.dgcs.unam.mx/boletin/bdboletin/2025_184.html

2. Sistema de Vigilancia Epidemiológica de Patologías Bucales. Consultado el 7 de agosto de 2025 desde: https://www.gob.mx/cms/uploads/attachment/file/971603/Docto-SIVEPAB-23-29Enero_FINAL.pdf

Contacto de prensa

Marion Par-Weixlberger | Vice President Public Relations & Corporate Communications Sirona Straße 1 | 5071 Wals bei Salzburg, Austria publicrelations@dentsplysirona.com | www.dentsplysirona.com

Cristiane Yajima | Corporate Communications Latin America

Rua Henri Dunant 873, cj. 101, São Paulo, 04709-110, Brazil T +55 (11) 97390-2230 | cristiane.yajima@dentsplysirona.com

Katya Vite | Burson México

T +52 4134 5123 | katya.delgadillo@bursonglobal.com

Celic Rivera | Burson México

T +52 7195 5583 | celic.rivera@bursonglobal.com

Acerca de Dentsply Sirona

Dentsply Sirona es el mayor fabricante diversificado del mundo de productos y tecnologías dentales profesionales, con más de un siglo de innovación y servicio a la industria dental y a pacientes de todo el mundo. Dentsply Sirona desarrolla, fabrica y comercializa una completa oferta de soluciones que incluye productos dentales y de salud bucodental, así como otros productos sanitarios consumibles, bajo una sólida cartera de marcas de prestigio mundial. Los productos innovadores de Dentsply Sirona proporcionan soluciones de alta calidad, eficaces y conectadas para avanzar en el cuidado del paciente y ofrecer una atención dental mejor y más segura. La sede central de Dentsply Sirona se encuentra en Charlotte, Carolina del Norte. Las acciones de la empresa cotizan en el Nasdaq estadounidense con el símbolo XRAY. Visita www.dentsplysirona.com para más información acerca de Dentsply Sirona y sus productos.

Prevalencia de lesiones traumáticas asociadas al uso de aparatología ortodóntica

Prevalencia de lesiones traumáticas asociadas al uso de aparatología ortodóntica

Introducción: los aditamentos ortodónticos fijos y removibles para la corrección de las maloclusiones deben portarse entre 1 y 2 años. Durante este tiempo, la mucosa oral puede sufrir fricción con dichos aditamentos, generándo lesiones traumáticas que afectan la calidad de vida del paciente. Objetivo: evaluar la prevalencia y localización de lesiones traumáticas asociadas al uso de aparatología ortodóntica fija en pacientes del Instituto de Ortodoncia Bioprogresiva. Metodología: se trata de un estudio transversal con muestreo por conveniencia. A los pacientes tratados en el Instituto se les realizó una evaluación clínica en búsqueda de lesiones en la mucosa oral, entre los meses de agosto y enero de 2024. Se llevó a cabo un análisis descriptivo de la muestra, se calculó la prevalencia de lesiones y se determinó su

C.D. Ana Laura Hurtado Maya. * M. en C. José Cuauhtémoc Jiménez Núñez.*° Esp. Gustavo Castillo Salazar.* *Instituto de Ortodoncia Bioprogresiva ° Facultad de Estudios Superiores Iztacala

frecuencia de acuerdo con la zona afectada. Resultados: en el estudio participaron 70 pacientes. La prevalencia de lesiones traumáticas fue de 91.4% (n=64). De acuerdo con su localización, 55.7% (n=39) se presentaron en carrillos, 24.2% (n=17) en el borde interno labial, 14.3% (n=10) en el área retromolar, 4.2% (n=3) en el fondo de saco y 1.4% (n=1) en encía. Conclusiones: la prevalencia de lesiones traumáticas fue alta, con una adecuada delimitación de las zonas afectadas y sus causas. Es fundamental evaluar la integridad de los tejidos blandos durante el tratamiento ortodóntico para no comprometer la calidad de vida del paciente.

Palabras clave: úlceras, traumatismo, ortodoncia, brackets

Las maloclusiones son alteraciones morfológicas y funcionales del sistema estomatognático. 1 Su abordaje se realiza mediante el tratamiento ortodóntico, cuya finalidad es mejorar la estética, la función y la calidad de vida de quienes las padecen.2 A lo largo del tratamiento, el especialista responsable debe dar un seguimiento oportuno al paciente con el fin de prevenir complicaciones, entre ellas las lesiones en la mucosa oral, que constituyen una de las principales quejas en consulta y pueden afectar la relación ortodoncista-paciente, así como la adherencia al tratamiento.

La mucosa oral se localiza en labios, mejillas, piso de boca, paladar duro e

De acuerdo con la literatura, los pacientes en tratamiento ortodóntico tienen un riesgo elevado de sufrir lesiones en la mucosa oral debido a la fricción constante de los aditamentos, así como por su colocación o ajuste inadecuados.

istmo de las fauces. Cumple diversas funciones, entre ellas la protección de los tejidos subyacentes, la sensibilidad, la regulación de la temperatura y la secreción salival.3 Las lesiones traumáticas en la mucosa oral son, por lo general, de origen mecánico, provocadas principalmente por traumatismos y por el uso de aparatología ortodóntica o protésica. Estas suelen presentarse como una lesión eritematosa con una úlcera central que puede sangrar o estar cubierta por una membrana fibrosa, la cual presenta una coloración blanquecina o amarillenta, dependiendo del grado de reparación en el que se encuentre.4

De acuerdo con la literatura, los pacientes en tratamiento ortodóntico tienen un riesgo elevado de sufrir lesiones en la mucosa oral debido a la fricción constante de los aditamentos, así como por su colocación o ajuste inadecuados. A ello se suma la falta de instrucciones por parte del profesional para prevenir y tratar dichas lesiones, lo que ocasiona dolor y afecta la calidad de vida del paciente.5,6

Existen pocos estudios que evalúen la prevalencia de lesiones traumáticas en la mucosa oral derivadas del tratamiento ortodóntico. Esto se debe, en parte, a que se trata de una condición que se ha normalizado debido a su alta frecuencia; sin embargo, los estudios disponibles reportan prevalencias que oscilan entre 63% y 86% en pacientes portadores de aparatología ortodóntica fija.7,8

El objetivo de este estudio fue evaluar la prevalencia y localización de lesiones traumáticas asociadas al uso de aparatología ortodóntica fija en pacientes de una clínica escuela en el Estado de México.

Metodología

Se realizó un estudio transversal con muestreo por conveniencia. Se evaluó a pacientes tratados en el Instituto de Ortodoncia Bioprogresiva, campus Arboledas, durante los meses de agosto a diciembre de 2024.

Dentro de los criterios de selección se incluyó a todos los pacientes con visitas regulares al Instituto en los últimos 6 meses, portadores de aparatología ortodóntica fija, de ambos sexos, mayores de edad y que otorgaron su consentimiento informado. Se excluyó a los pacientes que acudían por primera vez a valoración.

La evaluación clínica se realizó en la unidad dental por odontólogos con experiencia en ortodoncia. Se revisaron todas las áreas de la boca, las superficies dentarias y la aparatología en búsqueda de lesiones y su posible causa. Posteriormente, mediante una encuesta, se recolectaron datos como edad y sexo, así como información sobre la repercusión de las lesiones en la masticación y el habla.

Los datos fueron capturados y analizados en el software STATA versión 16. Se efectuó un análisis descriptivo de la muestra, se calculó la prevalencia

de lesiones asociadas al tratamiento ortodóntico y su distribución por localización. Finalmente, mediante la prueba exacta de Fisher, se comparó la prevalencia de lesiones de acuerdo con edad y sexo, considerando un nivel de significancia de p<0.05.

Resultados

Descripción de la muestra

En el estudio participaron 70 pacientes, con una edad promedio de 24.7 ± 6.8 años. El 71.4% (n=50) fueron mujeres. El 76.8% (n=55) cursaba su tratamiento con aparatología convencional, mientras que el 23.2% (n=15) portaba brackets de autoligado.

Prevalencia y distribución de lesiones traumáticas por ortodoncia

La prevalencia de lesiones traumáticas fue de 91.4% (n=64). De acuerdo con su localización, 55.7% (n=39) se presentaron en carrillos, 24.2% (n=17) en el borde interno labial, 14.3% (n=10) en el área retromolar, 4.2% (n=3) en el fondo de saco y 1.4% (n=1) en encía.

Causas relacionadas con el desarrollo de las lesiones

Según la valoración clínica, 56.5% (n=40) de las lesiones se debieron a falta de ajuste en el extremo final del arco, mientras que 43.5% (n=30) fueron ocasionadas por la fricción de los brackets sobre los tejidos. Ninguna lesión se asoció con el uso de ligadura metálica.

Adultos jóvenes 40 (56.5) 38 (58.7) 2 (33.2)

Adultos 30 (43.5) 26 (41.3) 4 (66.8)

Valor p 0.230*

*Prueba estadística exacta de Fisher.

Conocimientos sobre la prevención y manejo de las lesiones

El 74.2% (n=52) de los pacientes refirió haber recibido indicaciones claras por parte del especialista para prevenir estas lesiones. Las recomendaciones más frecuentemente recordadas y aplicadas fueron el uso de cera de ortodoncia y la programación de una cita para ajuste.

Repercusión de las lesiones traumáticas en la masticación y el habla

El 78.5% (n=55) reportó dificultades en la masticación durante el periodo en que se presentó la lesión traumática, mientras que 61.4% (n=43) refirió problemas en el habla.

Distribución de las lesiones de acuerdo con las variables estudiadas

Edad

No se encontró asociación estadística entre la prevalencia de úlceras traumáticas y los grupos de edad (adultos jóvenes: 18–35 años; adultos: 36–64 años) (Tabla 1).

Sexo

Tampoco se encontró asociación estadística entre la prevalencia de úlceras traumáticas y el sexo (Tabla 2).

Discusión

La prevalencia de lesiones traumáticas asociadas al uso de aparatología ortodóntica en este estudio fue de 91.4%, valor superior al reportado en otras investigaciones, donde osciló entre 63% y 86%. Esta diferencia podría explicarse porque la valoración clínica fue realizada por profesionales con experiencia, quienes no solo identificaron lesiones activas, sino también aquellas en proceso de reparación, considerando así antecedentes de úlceras traumáticas.

Respecto a la localización, la zona más afectada fueron los carrillos, lo cual coincide con la posición del extremo del arco, identificado en 56.5% de los casos como la causa principal de la lesión. En relación con la información preventiva, únicamente 74.2% de los pacientes refirió haber recibido indicaciones por parte del especialista, siendo el uso de cera ortodóntica la

Tabla 1. Prevalencia de lesiones traumáticas de acuerdo con el grupo de edad.

medida más mencionada. Este hallazgo evidencia que, aunque la prevalencia es elevada, los ortodoncistas no siempre prestan la atención necesaria a la técnica de colocación y ajuste del arco, ni a la difusión de medidas básicas de prevención.

La formación de los futuros especialistas debe considerar la importancia de evaluar la integridad de los tejidos blandos y de reforzar las medidas preventivas, ya que las lesiones traumáticas, además de comprometer los tejidos, afectan la calidad de vida del paciente y pueden disminuir su adherencia al tratamiento, repercutiendo en el manejo de la maloclusión.

En este estudio no se encontró asociación significativa entre la presencia de lesiones y variables como edad o sexo, lo que sugiere que estas pueden presentarse de forma indistinta en diferentes grupos de pacientes.

Entre las limitaciones del estudio se encuentra el tamaño reducido de la muestra. Se recomienda que investigaciones futuras incluyan un mayor número de participantes y exploren variables adicionales, como la duración de las lesiones, el uso de remedios caseros, el

En pacientes del Instituto Bioprogresivo de Ortodoncia, campus Arboledas, la prevalencia de lesiones traumáticas asociadas al uso de aparatología ortodóntica fue de 91.4%. La zona más afectada fueron los carrillos.

tiempo bajo tratamiento ortodóntico y la recurrencia de las lesiones.

Conclusión

En pacientes del Instituto Bioprogresivo de Ortodoncia, campus Arboledas, la prevalencia de lesiones traumáticas asociadas al uso de aparatología ortodóntica fue de 91.4%. La zona más afectada fueron los carrillos.

*Prueba estadística exacta de Fisher.
Tabla 2. Prevalencia de lesiones traumáticas de acuerdo con el sexo.

Referencias

1. Sousa RVD, Ribeiro GLA, Firmino RT, Martins CC, Granville-Garcia AF, Paiva SM. Prevalence and Associated Factors for the Development of Anterior Open Bite and Posterior Crossbite in the Primary Dentition. Brazilian Dental Journal. 2014;25(4):336-42.

2. Cunningham SJ, Hunt NP. Quality of Life and Its Importance in Orthodontics. Journal of Orthodontics. 2001;28(2):152-8.

3. García-García V, Bascones Martínez A. Cáncer oral: Puesta al día. Avances en Odontoestomatología. 2009;25(5):239-48.

4. Somacarrera Pérez ML, López Sánchez AF, Martín Carreras-Presas C, Díaz Rodríguez M. Lesiones traumáticas en la mucosa oral de los adultos mayores. Avances en Odontoestomatología. 2015;31(3):129-34.

5. Salcedo-Bugarín IL, Sanín-Rivera IP, Gutiérrez-Rojo JC. Principales molestias durante el tratamiento de ortodoncia. sagitales de las vías aéreas superiores• Comparación de irregularidades en brackets de cuatro sistemas de ligado convencional y un sistema de autoligado• Evaluación de la percepción del dolor en pacientes de 0 a 5 meses de edad con labio y paladar hendido. 2018;6(2):90-7.

6. Thone N, Winter M, Kohn G, Napolitano C, Jofré D. Enfrentamiento de lesiones de cavidad oral: clasificación y diagnóstico diferencial. Revista de otorrinolaringología y cirugía de cabeza y cuello. 2023;83(3):274-87.

7. Aburto Torres JE. Estimación de la edad dentaria mediante los métodos de demirjian y nolla en niños de 5 a 12 años de edad atendidos en la clínica. 2019.

8. Álvarez Moreira JA. Prevalencia de lesiones bucales asociadas con tratamientos ortodónticos que asisten a la Clínica Odontológica Integral de la Universidad de las Américas: Quito: Universidad de las Américas, 2017; 2017.

Turn static files into dynamic content formats.

Create a flipbook
Issuu converts static files into: digital portfolios, online yearbooks, online catalogs, digital photo albums and more. Sign up and create your flipbook.
Revista Dentista y Paciente 206 | Octubre by Dentista y Paciente - Issuu