205-septiembre-2025

Page 1


Corix® 70 Plus Touch Screen*

Le ofrece todo lo que Ud. necesita para un Óptimo Radiodiagnóstico

Intra-Oral, con la Mayor Seguridad Radiológica

Si la Seguridad Radiológica, como Operador de un equipo de Rayos-X, es algo que desconoce o no le preocupa, es mejor que lea en: www.corix.us todos los detalles.

Corix® 70 Digital V3

Corix® 70 Digital V3

Obtener imágenes

Obtener imágenes

Radiográficas Intra-Orales en un corto tiempo y con la menor dosis de radiación

Radiográficas Intra-Orales en un corto tiempo y con la menor dosis de radiación

Ahora es posible!!!

Ahora es posible!!!

Los equipos

Corix® 70 Junior*

Le ofrecen: Calidad, Economía y Seguridad Radiológica

Septiembre 2025

El INEGI informó que, en el 2018, 20.1 millones de personas no tenían acceso a los servicios de salud. Al finalizar 2024, la cifra ascendió a 44.5 millones.

Esto se debe a que se eliminó el Seguro Popular; posteriormente se creó el INSABI (Instituto de Salud para el Bienestar), que terminó siendo un rotundo fracaso y ahora todo pasa al IMSS-Bienestar, el cual no cuenta con la capacidad y presupuesto suficientes para dar servicio a todos.

El problema va más allá: incluso si todas las personas tuvieran acceso a los servicios de salud, persisten la falta de medicamentos, de personal, de insumos y falta de mantenimiento al equipo médico de los hospitales.

Por lo anterior, mucha gente se ve en la necesidad de recurrir a servicios médicos privados, lo que repercute en la economía familiar.

A punto de cumplirse un año de este nuevo sexenio, el desabasto de medicamentos continúa.

El 11 de agosto, UnoTV.com publicó que el sarampión en México sigue avanzando; hasta la semana 31, la Secretaría de Salud federal identifica 3 911 casos confirmados. De los 14 fallecidos al momento, el 50% eran menores de 7 años, aunque también hay adultos de hasta 56 años entre las defunciones. Los menores figuran entre los más afectados por el sarampión.

Las mujeres predominan en los casos de contagio. En cuanto a la distribución por sexo, representan el 51.7%, lo que significa un total de 2021 personas contagiadas; mientras que el 48.3% son hombres, es decir, 1 890 casos.

¡A seguirse cuidando!

Mtro. Carlos Adolfo Espinosa García Especialidad en Odontología Legal y Forense Maestría en Odontología

10 | BOLETÍN

Sistemas de barrera estéril: la muralla invisible que protege a tu paciente

14 | PUNTO DE VISTA

Tratamiento de sinusitis maxilar odontogénica mediante comunicación

oroantral: reporte de un caso y revisión de la literatura

Editorial Renascence S.A. de C.V.

24 | CALIDAD Y DIRECCIÓN

Calidad de vida relacionada a caries dental e hipomineralización incisivo molar en niños escolares a nivel mundial: Una revisión sistemática

34 | ESTUDIO CLÍNICO

Higiene oral, autopercepción estética y confort en pacientes con ortodoncia

Fundador

Jaime Francisco Martínez Aceves†

Directora General

María Guadalupe Patricia López de Martínez patricia.lopez@dentistaypaciente.com

Directora Editorial

Mariangel Martínez López mmartinez@dentistaypaciente.com

Director de Arte y Diseño

Jesús Salas Pérez jesasez@dentistaypaciente.com

Coordinador Editorial

Marco A. Vergara Salgado marversa@dentistaypaciente.com

Gerentes Comerciales y de Negocios

Carlos Martínez García, Gabriela Ocadiz, Edson Aarón Hernández

Producción y Circulación

Edson Aarón Hernández

Fotografía e Ilustraciones

Editorial Renascence Suscripciones

Edson Aarón Hernández

Preprensa e Impresión

MV IMPRESIONES

Distribución

MV IMPRESIONES, Av. Acueducto #9 Col. Quiahuatla, Alcaldia Tláhuac, C.P. 13090, CDMX

Contabilidad y Administración

L. C. y E. F. Renato Muñoz

director científico

Dr. Carlos Espinosa García

Especialista en Odontología Legal y Forense

consejo editorial

Dr. Carlos Espinosa García

Especialista en Odontología Legal y Forense

Javier Portilla Robertson

Exdirector de la Facultad de Odontología de la UNAM

Especialista en Patología Bucal

Marco A. Vergara Salgado

C.D.E.O. Arturo Alvarado Rossano†

Profesor y Especialista en Ortodoncia y Ortopedia Craneofacial en la Facultad de Odontología. UNAM. Asesor Académico y Coordinador de Difusión de la AMOCOAC.

C.D. Manuel García Luna y González Rubio

Dra. Ana Gabriela Carrillo Varguez

Coordinadora de la especialidad en endodoncia UABC Tijuana. Coordinadora de Investigación y Posgrado F.O. UABC

M.C. Ernestina Santillana Marín

Subdirectora de CISALUD UABC

William James Maloney, D.D.S. Clinical Associate Professor New York University

universidad anáhuac méxico norte

C.D. Carlos Robles Bonilla Coordinador de la Licenciatura de Cirujano Dentista

C.D. Sergio Antonio Ojeda León Profesor Titular de Odontopediatría de la Licenciatura de Cirujano Dentista

C.D. Bernardo Grobeisen Weingersz Profesor Titular de Clínica Integral de la Licenciatura de Cirujano Dentista

C.D. Norma Ibañez Mancera. Profesora Titular de Patología Bucal de la Licenciatura de Cirujano Dentista

Dirección del Derecho de Autor certificado de reserva al uso exclusivo no. 04-2008022718312200-102 con fecha 27 de Marzo del 2008. Gobernación de la H. Comisión Calificadora de Publicaciones y Revistas Ilustradas, certificado de licitud de contenido 5328, certificado de licitud de título 7411, franqueo pagado, publicación mensual permiso no. PP09-02106, SEPOMEX. Las opiniones expresadas en los artículos y en los anuncios publicados no significan de ninguna manera juicios, criterios, ideas o cualquier otro concepto por parte de la editorial; reflejan únicamente las ideas y pensamientos de sus autores. Los artículos, entrevistas, resúmenes, publirreportajes, fotografías y cualquier otro material son exclusivos de la editorial, y no se autoriza la reproducción total o parcial por ningún medio sin previa autorización del editor. Para cualquier asunto relacionado con suscripción, distribución, comercialización, anuncios, contenido u otro propósito, favor de dirigirse a la editorial. Impreso en MV IMPRESIONES, SA DE CV.

Dentista y Paciente® Publicación mensual correspondiente al mes de SEPTIEMBRE DE 2025. editada por Editorial Renascence S.A. de C.V., Rancho Jigüingo 29, Prado Coapa, Ciudad de México, 14350. tel. 56846632, fax 56793656. Distribuida en locales cerrados, depósitos dentales, universidades, congresos y exposiciones. Editora responsable: Mariangel Martínez López. Fotoarte de portada: Editorial Renascence.

distribución certificada por el padrón nacional de medios impresos de la dirección general de medios impresos de la secretaría de gobernación no. 007-136. www.gobernacion.gob.mx

42 | ENCICLOPEDIA ODONTOLÓGICA

Manejo interceptivo de maloclusión clase II esqueletal con remanente de crecimiento: reporte de un caso clínico

54 | CASO CLÍNICO

60 | SONRIENDO AL FUTURO

Yo como papá, puedo influir en la salud dental de mi hijo

Labio paladar hendido unilateral

Sistemas de barrera estéril: la muralla invisible que protege a tu paciente

Coordinador de Educación Lorma

En la práctica odontológica, la esterilización del instrumental es mucho más que un requisito normativo: es un compromiso ético y profesional con la seguridad de cada paciente. Sin embargo, existe un paso crucial que a menudo pasa desapercibido: la correcta elección y uso de los sistemas de barrera estéril (SBE).

Aunque su manejo parezca simple, son frecuentes los errores que comprometen la esterilidad alcanzada en la autoclave o el esterilizador de calor seco. Desde empaques inadecuados hasta combinaciones incorrectas de materiales, cada descuido abre la puerta a contaminaciones cruzadas que, aunque invisibles, pueden tener consecuencias graves. En este artículo exploraremos los fundamentos, tipos y buenas prácticas para que los SBE se conviertan en verdaderas murallas de protección en su consultorio.

¿Qué es un sistema de barrera estéril?

En términos sencillos, es cualquier envoltura o empaque diseñado para mantener estéril un dispositivo médico desde que sale del proceso de esterilización hasta el momento de su uso, siempre que se manipule correctamente y no sufra daños.

De acuerdo con la ISO 11139:2018, un Sistema de Barrera Estéril (SBE) se define como un “Empaque mínimo, que minimiza el riesgo de entrada de microrganismos y permite la

presentación aséptica del contenido estéril en el punto de uso”. Esta definición se complementa con lo establecido en la ISO 11607-1, que detalla los requisitos técnicos y de desempeño que deben cumplir estos sistemas para garantizar su eficacia en entornos clínicos. Esto significa que un buen sistema no solo debe resistir el paso de microorganismos (bacterias, virus y esporas), para la prevención de Infecciones Asociadas a la Atención de la Salud (IAAS), sino que también debe permitir que el instrumental llegue al área operativa sin perder su esterilidad y sin necesidad de volver a esterilizarlo.

En odontología, donde el instrumental tiene contacto directo con fluidos y mucosas, la integridad de esta barrera es tan vital como el ciclo mismo de esterilización. Como ejemplo, podemos mencionar una práctica común, pero inválida que consiste en abrir el SBE, empujando el instrumental o dispositivo esterilizado a través del empaque para extraerlo de este.

Materiales y formatos más comunes

Existen desde materiales para la operación manual hasta procesos automatizados a nivel industrial para el manejo de estos. A continuación hacemos un resumen de los más comunes.

• Bolsa tipo “Peel Pounch”: Bolsa conocida de manera común, constituida por una cara hecha en base de papel y por la otra una película

transparente. Pueden encontrarse con adhesivo o en rollo para termoselladora, así como en diversos tamaños. Orientada para esterilizar una amplia variedad de dispositivos médicos de bajo perfil y ligeros.

• Bolsa de esterilización: Formada por una sola lámina de papel poroso de grado médico, pueden presentar un fuelle en los costados, muy similares a las anteriores, orientadas para una amplia variedad de dispositivos médicos de bajo perfil y ligeros.

• Bolsa “Header Bag”: También conocida como bolsa con cabezal, fabricadas a partir de dos láminas transparentes impermeables, una de estas suele tener una pestaña más sobresaliente y con un adhesivo para sellar la bolsa al generar el empaquetado por esterilizar, utilizada comúnmente en kits de amplio volumen

• Contenedor de metal o de polímeros especiales: Varios diseños para cada método de esterilización a los que se expongan, químicos, térmicos, de presión, entre otras más. Suelen tener un método de sellado, así como un sistema de ventilación de acuerdo al método de esterilización en específico, presentan diversos tamaños algunos con apartados especiales, otras sin divisiones internas.

• Sistemas de envoltura: Empleados para diversos dispositivos médicos, en el caso de estos la forma de sellado es a través de los pliegues realizados, entre estos se presentan los textiles y los papeles, ambos deben ser de grado quirúrgico. En el caso de estos, cabe recalcar la importancia de que en los esterilizadores de

mesa no es un método válido utilizar textiles grandes, en caso de usar una alternativa a las bolsas se deberá de emplear el papel kraft para la envoltura de los dispositivos médicos.

Errores frecuentes que comprometen la esterilidad

1. Combinar materiales no compatibles con el método de esterilización. Por ejemplo, usar bolsas con ventana plástica en calor seco, lo que provoca deformación y pérdida de integridad; o el uso de bolsas con indicador de E. O. (óxido de etileno), que es incompatible con los SBE para calor seco u otros medios de esterilización.

2. Sobrellenar bolsas o paquetes. Esto impide la correcta circulación del agente esterilizante.

3. Sellados deficientes. Un cierre incompleto o mal adherido es una puerta abierta para contaminantes.

4. Almacenamiento inadecuado. Humedad, luz solar directa o manipulación excesiva reducen drásticamente la vida útil de la esterilidad.

Regla de oro: Verificar siempre la ficha técnica del fabricante del empaque y la compatibilidad con el método de esterilización que utiliza

Conclusión

Es fundamental conocer y definir correctamente los sistemas de barrera estéril (SBE) disponibles, ya que comprender su funcionamiento nos permite reconocer que son una de las bases esenciales para una esterilización efectiva. A menudo se piensa que contar con un equipo esterilizador es suficiente para completar el proceso; sin embargo, es igual de importante considerar factores como las condiciones del medio ambiente, el tipo de SBE utilizado, la praxis en

la desinfección del instrumental, entre otros. Estos elementos son clave para preservar en óptimas condiciones nuestros dispositivos médicos, garantizar la seguridad que merece el paciente y convertir este cuidado en un acto de disciplina y conciencia profesional.

Aplicar de manera correcta los SBE no solo mejora el desempeño de nuestras funciones, sino que también fortalece la confianza en la atención que brindamos. Hagamos de esta práctica un estándar diario en nuestra labor clínica.

Es un placer contar con su atención en este recorrido por el mundo de la esterilización. Los invitamos para acompañarnos en nuestra próxima publicación.

Atentamente: Ing. Adrián Sánchez Pérez, Coordinador de Educación Lorma.

Fuentes

• ISO 11607-1:2019 https://www.iso.org/standard/70799.html

• ISO 11607-1 https://www.iso.org/standard/70799.html

• Sterile Barrier Association https://sterilebarrier.org/

Tratamiento de sinusitis maxilar odontogénica

Eduardo Daniel Nájera Bello. Pasante de Servicio Social del Hospital Naval de Acapulco – Universidad Autonoma de Guerrero

Diana Laura Gallegos Franco. Pasante de Servicio Social del Hospital Naval de Acapulco – Universidad Autonoma de Guerrero

Esther Diana Carolina Ferraez Castañeda. Cirujano Maxilofacial adscrito al Departamento de Odontología del Hospital Naval de Acapulco

Israel Colín Hernández. Jefe de Departamento de Odontología del Hospital Naval de Acapulco

Introducción: La sinusitis odontogénica es una afección del seno maxilar ocasionada por el acceso de bacterias provenientes de los ápices de uno o más órganos dentales con proceso infeccioso activo, favoreciendo la inflamación de la mucosa, provocando una alteración en su producción y la presencia de otros síntomas. El tratamiento de primera elección es farmacológico y en caso de no presentar mejoría se realizará algún procedimiento quirúrgico según el estado en el que se encuentra el órgano dental comprometido y gravedad del padecimiento.

Materiales y métodos: Para este trabajo se realizó una investigación detallada de diversas fuentes de investigación como lo son pubmed, Science direct, entre otras y para el apartado del caso se decidió hacer un tratamiento mediante la comunicación oroantral Caso clínico: Paciente femenino de 49

años de edad, la cual es remitida por especialista en endodoncia por referir rinorrea, cefaleas y estornudos recurrentes con un año de evolución, ya tratada por otorrinolaringología sin mejoría.

Radiográficamente se observa lesión periapical con cercanía a seno maxilar por lo que se realiza extracciones de segundo y tercer molar superior derecho y limpieza a través de comunicación oroantral y cierre con la bola adiposa de Bichat.

Resultados y conclusiones: La bolsa adiposa de bichat para el cierre de comunicaciones intraorales es una excelente opción gracias a su vascularidad, volumen, versatilidad y capacidad de favorecer una metaplasia a tejido epitelial por su presencia de células madre.

Palabras clave: sinusitis, odontogénico, bola adiposa de Bichat, comunicación oroantral.

1. Causas de perforación de la membrana de Schneider que puedan provocar una sinusitis odontogénica.

Fuente: Martu C. Sinusitis odontogénica; del diagnóstico a las posibilidades de tratamiento; una revisión narrativa de los datos recientes: diagnóstico. 2022.8

CAUSAS/ ORIGEN

INFECCIOSO

La sinusitis odontogénica (SO) es causada por procesos infecciosos asociados a las raíces dentales, las cuales solo se encuentran separadas del seno maxilar por una delgada cortical ósea y en algunos casos es inexistente. Esto explica la fuente y desarrollo del proceso inflamatorio sinusal, ocasionando una disrupción del transporte del moco, deterioro de las defensas de la mucosa, obliteración del ostium, generando así un medio propicio para inflamación e infecciones.1,2

El doctor Bauer describió por primera vez en 1943 la diseminación de los procesos inflamatorios periapicales hacia el seno maxilar dando como resultado el proceso inflamatorio por causas dentales. En 1893 George W. Caldwell, para el manejo de la sinusitis fue quien combinó un abordaje de fosa canina para obtener acceso al seno maxilar con una antrostomía en el meato inferior que mejoró

PADECIMIENTOS

• PATOLOGÍA DENTAL: INFECCIÓN ENDODÓNTICA

• PATLOGIA PERIODONTAL: BOLSA PERIODONTAL INFRAOSEA

• LESIONES EDOPERIODONTALES COMPLEJAS

• PROCEDIMIENTO DE ELEVACIÓN DE SENO REALIZADOS INCORRECTAMENTE

• IMPLANTES DENTALES COLOCADOS INCORRECTAMENTE

PERIIMPLANTITIS

IATROGÉNICO

TUMORES / QUISTES ODONTOGÉNICOS

TRAUMATISMOS

• TRATAMIENTO DE ENDODONCIA DEFECTUOSO

• EXTRACCIONES DENTALES

• PROCEDIMIENTOS QUIRÚRGICOS: CIRUGÍA ORTOGNÁTICA, CIRUGIA DE HENDIDURA LABIO PALATINA.

• OSTEOTOMÍAS LE FORT

• CON AFECCIÓN A LOS SENOS PARANASALES

• DEL HUESO

enormemente los resultados quirúrgicos por permitir remover completamente su mucosa con ello dando lugar a la cirugía Caldwell. Descrita un año más tarde por Guy Luc en Francia por lo que se le conoce actualmente como Caldwell-Luc.3-7

Los factores causales de las SO pueden ser de origen infeccioso, iatrogénico, quistes o tumores odontogénicos y trauma dental los cuales se mencionan en la Tabla 1 8

Los signos radiográficos compatibles con la SO incluyen más de 6 mm de engrosamiento de la mucosa en senos maxilares en adultos (> 4 mm en niños), más del 33% de pérdida del volumen del espacio aéreo dentro de los senos maxilares o zonas radiopacas y niveles hidroaéreos en cualquiera de los senos paranasales. La radiografía occipitomentoniana o Watters puede ser útil en la detección de adultos y niños mayores de 1 año, pero tienen una sensibilidad inadecuada por lo que el estudio de elección es la tomografía computarizada de senos paranasales. El gold standard es la tomografía computarizada (TC) de cavidades paranasales, que identifica todo tipo de lesiones.2,8

A nivel mundial entre un 30 al 40% de las consultas en otorrinolaringología están relacionadas con una sinusitis de origen odontogénico. La zona de los molares tiene una mayor incidencia en un 47.68%, siendo el primer molar el más afectado en un 22.51%, el tercer molar con un 17.21%

Tabla

y el segundo molar solo con un 3.97%. La zona de premolares está involucrada en un 5.96%, seguida de la canina en un 0.66%.7-9

Existe una relación directa entre algunas piezas dentales y el seno maxilar, siendo la raíz palatina del primer molar superior la más asociada a una perforación aumentado el riesgo de presentar una SO, aunque anatómicamente la raíz mesiovestibular del segundo molar superior tiene la mayor cercanía al piso sinusal.10,12

Aunque sus signos y síntomas son inespecíficos y no necesariamente de origen odontogénico, los síntomas más comunes reportados son: dolor facial (88%), secreción nasal (64 %) y congestión (45 %). Hay características clínicas de sospecha de una sinusitis de origen odontogénica como la unilateralidad de la obstrucción nasal, rinorrea donde el drenaje nasal fétido o mal olor de la boca tienen la especificidad más alta para la SO, pero lamentablemente solo se observa en un 15% a un 48% de los pacientes como se describe en la Tabla 2 12,13

El tratamiento de elección ante una sinusitis maxilar es mediante el uso de farmacoterapia con el objetivo de erradicar las bacterias del sitio de la infección y disminuir la duración de los síntomas para permitir que los pacientes reanuden sus actividades diarias más rápidamente. Uno de los antibióticos más usados y con buenos resultados es la amoxicilina en combinación con ácido clavulánico.14

Tratamiento de sinusitis maxilar odontogénica

SINUSITIS ODONTOGÉNICA

SIGNOS SÍNTOMAS

RINORREA PURULENTA • HIPOSMIA

SECRECIONES PURULETAS VISIBLES EN LA PARED

POSTERIOR DE LA FARINGE

HALITOSIS

OBSTRUCCIÓN NASAL

En caso donde hay evidencia clara de una fuente de infección dental, nuestro tratamiento debe abordar primero la patología dental, desde un tratamiento de conductos, apicectomía o hasta la extracción dental. Si la endodoncia no tiene éxito o no es viable por distintos motivos, es aconsejable la extracción de dicho órgano dental. Durante la extracción de los dientes posteriores maxilares puede ocurrir una comunicación oroantral, esto se debe a la proximidad de las raíces al piso del seno maxilar.15,16

La literatura reporta diferentes técnicas para el manejo de la sinusitis maxilar y cierre de las comunicaciones oroantrales. Existen técnicas usando un colgajo bucal o mucoperióstico o un colgajo de rotación palatino el cual es preferible por localización, pero en comunicaciones más grandes la grasa bucal ha demostrado ser más adecuada.17

Caso clínico

Paciente femenino de 49 años de edad la cual acude a la consulta por odontalgia en segundo molar superior derecho, presenta obturación temporal y ausencia clínica de tercer molar superior

• DOLOR FACIAL

• ODONTALGIA RELACIONADA AL ÓRGANO DENTAL COMPROMETIDO

• FATIGA

Tabla 2. Signos y síntomas característicos de la SO.

derecho (Figura 1). Especialista en endodoncia solicita cone beam en donde se visualiza lesión periapical extensa que involucra segundo y tercer molar ipsilateral y engrosamiento de la mucosa del seno maxilar sugerente de sinusitis maxilar crónica y su cercanía

con el tercer molar de dicha estructura (Figura 2).

Como antecedentes de importancia, la paciente refiere tratamiento previo por otorrinolaringología sin mejoría alguna, presentando rinorrea y obstrucción nasal constante ocasionando hiposmia, pero no correlacionándolo con una causa de origen dental.

Por lo que se propone procedimiento quirúrgico con la evidente comunicación oroantral al realizar las extracciones de los órganos dentales involucrados. Previa asepsia y antisepsia, colocación de campos estériles, extracción de segundo y tercer molar superior derecho e incisión envolvente con descarga mesial (Figura 3), rotación y afronte mediante puntos simples de la bola adiposa de Bichat para el cierre de la comunicación oroantral (Figura 4), farmacoterapia con base en amoxicilina con ácido clavulánico. Una semana después refiere no presentar rinorrea y mejoría al 100% de la obstrucción. Posterior a 6 meses de evolución clínica (Figura 5) y radiográficamente (Figura 6), no se observa comunicación oroantral o paso de líquidos de la cavidad oral a la cavidad nasal.

Discusión

La doctora Johana, en su estudio realizado en Latinoamérica, menciona que el 10% de los casos de sinusitis maxilar crónica unilateral son de origen odontogénica, y ascendería hasta un 4075%. Por otro lado, la doctora Viviana Menciona en su estudio realizado en

Figura 1. Fotografía oclusal.
Figura 2. Cone Beam en corte sagital sectorial de segundo y tercer molar.

Tratamiento de sinusitis maxilar odontogénica

Latinoamérica con 205 pacientes con sinusitis maxilar que el 38.05% fueron de origen Odontogénica, la incidencia en cuanto al género corresponde al género masculino dando como resultado el 53.85% y en cuanto a la edad correspondía que es más común entre la tercera y cuarta década de la vida.18,19

En un estudio en Latinoamérica por la doctora Novoa, se describe el aumento en los ultimos años de cone beam que tiene una calidad de imagen similar a la tomografía computarizada, con la ventaja de emitir una menor radiación, motivo por el cual fue nuestro elemento diagnóstico en este caso. Al contrario de la radiografía dental que, aunque es el examen radiológico

más usado para detectar periodontitis apical, pero al ser una imagen en 2 dimensiones donde se genera una superposición de estructuras, con una alta tasa de falsos negativos, mientras que la ortopantomografía nos permite ver la neumatización del seno, la relación de los dientes y el seno maxilar, pseudoquistes, restos radiculares y cuerpos extraños intrasinusales, pero también es una imagen en 2 dimensiones.20

El doctor Sakkas refiere que los otorrinolaringólogos generalmente confían más en la cirugía sinusal endoscópica para eliminar la inflamación de la mucosa maxilar, pero podrían tener dificultades para identificar y tratar correctamente la causa odontogénica

4. Cierre de comunicación con la bola adiposa de Bichat.

Figura 3. Colgajo envolvente con liberatriz mesial y alveolo postextracción.
Figura

por tal motivo se encontró que la principal causa de recidiva fue un tratamiento mono disciplinar, como en el caso de nuestra paciente, quien fue tratada previamente por un otorrinolaringólogo sin mejoría alguna hasta nuestro tratamiento, el cual elimina realmente el origen causal y la mucosa inflamada.21

En particular, en cuanto a la prevención de recurrencias por comunicación oroantral, el cierre con la bola grasa de Bichat parece ser especialmente adecuado por su alta tasa de éxito y un procedimiento técnicamente sencillo debido a su gran versatilidad, fácil movilización, acceso y alta nutrición debido a su rica vascularización, ayuda a evitar la dehiscencia de la sutura y baja tasa de complicaciones especialmente en los casos en que se requiere un cierre quirúrgico sin tensión, así como la conservación de la estructura mucosa y con ello la pérdida de la

profundidad del vestíbulo, bajo riesgo de infección, posibilidad de reposición del colgajo y sin cicatriz visible evitando con todo esto el fracaso del procedimiento.22

Aunque la elección del tratamiento antibiótico debe estar guiada por los cultivos bacterianos y los patrones de resistencia local. El antibiótico para la flora oral sigue siendo la amoxicilina con ácido clavulánico por ser la más sensible (más del 80% de las cepas) por un periodo de 21-38 días, seguido de la clindamicina; otros antibióticos utilizados son cefoxitina, ceftriaxona, azitromicina, doxiciclina, metronidazol, moxifloxacino y carbapenémicos. Durante el manejo postoperatorio, los pacientes no deben realizar maniobras de Valsalva por al menos 2 semanas y estar bajo tratamiento médico con antibióticos, descongestionantes, antihistamínicos y analgésicos por 5-7 días, mismo manejo que nosotros realizamos.23, 24

Figura 5. Fotografía oclusal de 6 meses de evolución.

6 meses posterior a la cirugía.

Conclusiones

Para el clínico, tanto médico como odontólogo, sean especialistas o no, es imprescindible conocer tanto el diagnóstico de una patología así como sus posibles causas, de igual forma saber descartar los orígenes de dichas patologías a lo que su área compete, siendo un tratamiento multidisciplinar lo más indicado para la salud y bienestar del paciente. Es de suma importancia tener una historia clínica detallada en su anamnesis, exploración física, estudios de gabinete y de laboratorio, para saber prevenir complicaciones y tratar los padecimientos ya existentes. Lo que se busca en una SO es identificar un proceso dental que pueda ser la causa de los síntomas. Para ello se han utilizado diferentes métodos imagenológicos desde una radiografía dental hasta la tomografía computarizada cone beam. En caso de una comunicación oroantral los tratamientos iniciales varían dependiendo de la severidad y del tamaño, siendo la técnica del cierre con la bola adiposa de Bichat una de las más toleradas y con mayor eficacia por sus múltiples beneficios transoperatorio y postoperatorio, siempre acompañado de un tratamiento farmacológico y estrecho seguimiento del paciente.

de sinusitis maxilar odontogénica

Tratamiento
Figura 6. Ortopantomografía de control

Referencias

1. Ferguson. (24 de octubre del 2013). "Rinosinusistis en medicina oral y odontología". Revista dental Australiana, pp 7

2. Raymond G. Salvin, MD, Sheldon L. Spector, MD e I. Leonard Benstein, MD. (Diciembre 2005). "El diagnóstico y tratamiento de la sinusitis: una actualización de parámetros de práctica". Jallergy clin immunol, pp. 4, 5

3. Bauer, W. H. (1943). Maxillary sinusitis of dental origin. American Journal of Orthodontics and Oral Surgery, 29(3), B133–B151

4. Datta, R. K., Viswanatha, B., & Shree Harsha, M. (2015). Caldwell Luc Surgery: Revisited. Indian Journal of Otolaryngology and Head & Neck Surgery, 68(1), 90–93.

5. Breinbauer, H., Contreras, J. M. y Namoncura, C. (2008). "Técnica de Caldwell-Luc en los últimos 16 años: Revisión de sus indicaciones". Revista de otorrinolaringología y cirugía de cabeza y cuello, pp. 248,249.

6. Macbeth R. (1971). "Caldwell, Luc, y su operación". El laringoscopio, pp. 1655.

7. Fouad A. Al-Belasy, BDS, MSc, PhD. (2004). "Antrostomía del meato inferior: ¿es necesaria tras la cirugía radical de los senos paranasales mediante el abordaje de Caldwell-Luc?". Antrostomía metálica inferior, pp 560,561.

8. Martu, C., Martu, M. A., Maftei, G. A., Diaconu-Popa, D. A. y Radulescu, L. (2022). Sinusitis odontogénica: del diagnóstico a las posibilidades de tratamiento: una revisión narrativa de datos recientes. Diagnóstico (Basilea, Suiza), pp. 4.

9. Kim S. M. (2019). Definición y manejo de la sinusitis maxilar odontogénica. Cirugía plástica y reconstructiva maxilofacial, pp. 1,2,4.

10. Bischhoffshausen P, Kristine von, Teuber L, Cristián, Tapia C, Sebastián, Callejas C, Claudio, Ramírez S, Hernán, & Vargas D, Alex. (2019). "Diagnóstico y tratamiento de la sinusitis maxilar odontogénica". Revista de otorrinolaringología y cirugía de cabeza y cuello, pp. 359.

11. Newsome, H. A. y Poetker, D. M. (2020). "Sinusitis odontogénica: conceptos actuales en diagnóstico y tratamiento. Clínicas de inmunología y alergias de América del Norte", pp. 363, 364.

Tratamiento de sinusitis maxilar odontogénica

12. Workman, A. D., Granquist, E. J. y Adappa, N. D. (2018). "Sinusitis odontogénica: desarrollos en diagnóstico, microbiología y tratamiento". Current opinion in otolaryngology & head and neck surgery, pp 3, 4.

13. Muñoz, B., Palma, M., Quintanilla, F. y Bustos, V. (2022). "Diagnóstico y manejo integral de la sinusitis odontogénica. Una revisión sistemática". En Preprints SciELO, pp 23, 24.

14. Schlund, M., Meeus, J., Politis, C. y Ferri, J. (2022). Manejo de la infección del injerto sinusal: una revisión sistemática. Revista internacional de cirugía oral y maxilofacial, pp. 691.

15. Psillas, G., Papaioannou, D., Petsali, S., Dimas, G. G. y Constantinidis, J. (2021). "Sinusitis maxilar odontogénica: una revisión exhaustiva". Revista de ciencias dentales, pp 478.

16. Shahrour R, Shah P, Withana T, Jung J, Syed AZ. (2021). Oroantral communication, its causes, complications, treatments and radiographic features: A pictorial review. Imaging Sci Dent. Sep;51(3):307-311

17. Visscher, S. H., van Roon, M. R. F., Sluiter, W. J., van Minnen, B., & Bos, R. R. M. (2011). Retrospective Study on the Treatment Outcome of Surgical Closure of Oroantral Communications. Journal of Oral and Maxillofacial Surgery, 69(12), 2956–2961

18. Vidal, J. C. M., Gil, M. L. A., Ruíz, M. R., & Thompson, P. (2019) Patología rinosinusal como expresión de lesiones de origen odontológico. Revista Faso año 26 N°1

19. Túquerres Mosquera, V. P. (2019). Incidencia de sinusitis de seno maxilar de origen odontogénico en pacientes del Hospital Metropolitano en el periodo 2011 a 2018. Estudio Retrospectivo. OdontoInvestigación, 5(2)

20. Novoa R, Romina, Sepúlveda A, llson, Munzenmayer B, Juan, & Schmidt P, Thomas. (2020). Resultados clínicos e imagenológicos en pacientes con rinosinusitis crónica odontogénica. Revista de otorrinolaringología y cirugía de cabeza y cuello, 80(2), 147-156.

21. Sakkas, A.; Weiß, C.; Ebeling, M.; Pietzka, S.; Wilde, F.; Evers, T.; Thiele, OC; Mischkowski, RA; Scheurer, M. (2023). Factores Influencia en la recurrencia después del tratamiento quirúrgico de la sinusitis maxilar odontogénica: un análisis desde el punto de vista de la cirugía oral y maxilofacial.J. Clin. Med. 12(11), 3670

22. Dym, H., & Wolf, J. C. (2012). Oroantral Communication. Oral and Maxillofacial Surgery Clinics of North America, 24(2), 239–247.

23. Bravo Cordero, G., Minzer Ferrer, S., & Fernández, L. (2016). Sinusitis odontogénica, fístula oroantral y su reparación quirúrgica mediante colgajo de bolsa de Bichat: revisión de la literatura. Acta Otorrinolaringológica Española, 67(2), 107–113.

24. Jeremy M, kaitlynn B, Suneel Upadhye. (2016). “¿Son eficaces los antibioticos en el tratamiento de la sinusitis maxilla aguda?”. Analesdelamedicina de emergencia, pp2.

Calidad de vida relacionada a caries dental e hipomineralización incisivo molar en niños escolares a nivel mundial: Una revisión sistemática. Parte final

Resultados

Los resultados de búsqueda tomando en cuenta la estrategia de búsqueda en las bases de datos arrojaron en: “ScienceDirect” un total de 3 artículos, de los cuales solo 1 fue de acceso libre, en “Web Of Science” se obtuvo un total de 3 artículos, los cuales se excluyeron por no cumplir con los criterios de elegibilidad, en “PubMed” fue un total de 11 artículos de los cuales solo 7 fueron de acceso libre, en “Scielo” se obtuvo un total de 5 artículos, de los cuales se excluyó 1 por ser duplicado y en “MedLine” se obtuvo un total de 2 artículos, sin embargo, también se excluyeron por ser duplicados, dando un total de 13 duplicados y una selección de 8 artículos incluidos para la revisión.

La tabla de características de los estudios es una herramienta esencial para sintetizar información relevante de los artículos revisados. Esta tabla resume aspectos clave de cada estudio, incluyendo el año y los nombres de los autores. En la sección de población, se describen las características de los participantes, como edad y género. En la sección de intervención, se detalla el cuestionario utilizado para medir la calidad de vida de los participantes. Además, en la parte de comparación,

se describe el grupo de control o de comparación empleado en el estudio. Los hallazgos recogen un resumen de los resultados o conclusiones principales, y finalmente, se especifica el tipo de estudio realizado

La tabla de datos extraídos de los estudios individuales recopila información clave, como el autor, año de publicación, tipo de estudio, tamaño de la muestra, edad y sexo de los pacientes, los instrumentos utilizados para evaluar la calidad de vida y el país donde se realizó cada investigación. Esta tabla ofrece una visión general de los estudios y facilita la comparación de sus resultados y conclusiones.

La tabla de evaluación metodológica de los estudios se realizó con el sistema GRADE para evaluar la calidad de los estudios científicos en función de varios criterios específicos. Estos criterios incluyen aspectos como la identificación de los autores y el año del estudio, la realización de cálculos muestrales adecuados, la descripción clara del diseño del estudio, el uso adecuado de la randomización y el cegamiento, la completitud del seguimiento de los participantes, el tipo de variable de respuesta utilizada, la concordancia del método de medición, la descripción de los supuestos

Sarah Jolette Jacobo Flores, Jocelyn Araceli

Lara Montaño, Karla Verónica López Martínez Luna-Santiago Esbeyde Lizbeth*

Licenciatura en Odontología, Escuela Nacional de Estudios Superiores Unidad León, Universidad Nacional Autónoma de México, 37684, Guanajuato, México.

Corresponding Author: *Esbeyde Lizbeth Luna Santiago. esbe_ydelun@hotmail.com.

Identificación

Figura 2. Diagrama PRISMA.

de la prueba estadística y la completitud de los resultados obtenidos. Cada criterio se calificó de acuerdo con su cumplimiento, para determinar la fiabilidad de los resultados obtenidos en la investigación científica.

Resultados

Se evaluó el riesgo de sesgo de los diferentes artículos y el análisis de los estudios proporcionados revela una variedad en el grado de riesgo de sesgo. Todos parecen tener el tamaño de muestra, la aleatorización y el método de aleatorización, lo cual es un resultado positivo. En cuanto al cegamiento, en la mayoría de los artículos no está

Identificación de estudios a través de bases de datos y registros

Registros identificados a tráves de una búsqueda en base de datos n =24

WebScience = 3

Scielo = 5

PubMed: n = 11

Science Direct: n = 3

Medline = 2

Artículos incluidos por título y resumen n = 11

Evaluación

Artículos evaluados para su elegibilidad n = 11

Incluidos

Artículos incluidos en la revisión n = 8

Registros eliminados antes de la selección Duplicados eliminados n = 13

muy bien especificado en cómo es que se realizó o no está presente. Respecto al seguimiento se observa que en la mayoría de los artículos presentan un buen seguimiento. La respuesta variable está con resultados cuantitativos más que cualitativos. Y finalmente en cuanto a la concordancia del método de medición, los supuestos de la prueba estadística y resultados están presentes y completos en cada uno de los artículos, lo cual es un resultado favorable.

Resultados de los estudios individuales

De los 8 artículos seleccionados, en el continente europeo se encontraron 4 provenientes de Alemania y en todos ellos se evaluó con el cuestionario CPQ. Michaelis, L., et al. (2021). Se realizó el cuestionario a 528 niños de edades entre 7-10 años. 266 (50.4%) fueron hombres y 262 (49.6%) fueron mujeres. Se obtuvo que la hipomineralización incisivo molar afecta más la calidad de vida si está presente más en dientes anteriores y dependiendo también de la severidad. Asimismo, en este artículo también se compara con los niños que presentan caries dental y en ellos el CPQ fue de una media de 9.8 y respecto a los niños con HIM fue una media de 10.85.

Artículos excluidos de acuerdo a nuestros criterios de exclusión n = 3

Por otro lado, en el estudio de Reissenberger, T., et al (2022) se evaluaron a 252 niños de los cuales 131 fueron mujeres y 121 fueron hombres. Y se encontró que los molares y premolares que tenían HIM causaban más limitaciones orales ya que son usados

durante la masticación y por lo tanto, causan hipersensibilidad y también coincide con el artículo de Michaelis, L., et al. (2021) respecto a que los dientes anteriores causan más efectos negativos emocional y socialmente. Y la media de resultados del CPQ fue de 10.9. El siguiente artículo sobre HIM es de Joshi T., et al (2021) se evaluaron 188 niños de 8-10 años y fueron 107 hombres (56.9%) y 81 mujeres (43.1%) y se obtuvo que igual como los estudios anteriores de hipomineralización, entre más severidad se tenga de HIM, la calidad de vida se verá más afectada. Y el CPQ fue de una media de 13.87 [±8.91]. El artículo de Sarra A., et al. (2022) se realizó el cuestionario a 210 niños de entre 7-11 años. Fueron un total de 103 (51%) mujeres y 107 (49%) hombres. También en este cuestionario se evaluó la calidad de vida de los niños que tenían caries dental. El total de CPQ que se obtuvo de los niños que presentaban HIM fue del 17.88 y de caries fue de 13.88, por lo que se puede decir que los niños con HIM tienen una peor calidad de vida; sin embargo, en el mismo artículo se menciona que después de haberles hecho un tratamiento dependiendo de lo que requieran, mejoró significativamente la calidad de vida.

En Latinoamérica se encontraron 2 artículos, en México y Brasil. En México Teresa V., et al. (2019), realizó el cuestionario a 411 niños con hipomineralización incisivo molar (HIM), el 52.8% fueron mujeres y el 47.2% hombres. En el artículo se encontró que las niñas evaluadas en 4 dominios

(síntomas orales, limitaciones funcionales, el bienestar emocional y social) que abarca el CPQ tuvieron un puntaje más alto que en los niños, lo que quiere decir que su calidad de vida se ve más afectada asociado a que generalmente, las niñas se preocupan más por su apariencia física. Los resultados del CPQ fueron los siguientes: síntomas orales [RR=1,75 (IC95% 1,63-1,78)]; limitaciones funcionales [RR=2,17 (IC95% 2,01-2,35)]; bienestar emocional [RR=1,94 (IC95% 1,802,08)]; y, bienestar social [RR=2,62 (IC95% 2,49-2,77)] y su media fue de 2.74.

En Brasil, Ribeiro Junior, C. A., et al. (2022) se incluyeron 400 niños de los cuales solo fueron evaluados 169 niños (42.2%) y 231 niñas (57.8%) y para evaluar su calidad de vida se usó el cuestionario CPQ y el SOC. Con una edad promedio de 12 años. El estudio indica que las repercusiones de la caries dental sin tratar están estrechamente ligadas a la calidad de vida relacionada con la salud bucal en niños de 12 años de una zona con bajos niveles socioeconómicos en Brasil. Se descubrió que el dolor dental y los factores psicosociales desempeñan un papel crucial como mediadores en la conexión entre la caries dental y la Oral Health-Related Quality of Life (OHRQoL) en estos niños. La media de resultados de los cuestionarios usados para evaluar la calidad de vida fue de 45.7 en el SOC y 16.1 en el CPQ.

En Turquía, siendo parte del continente europeo y asiático se encontró 1

Calidad y dirección

Autor, año Michaelis, L., et al. (2021). ⁹ Reissenberger, T., et al (2022). 10 Joshi, T., et al. (2021). ¹¹ Ribeiro Junior, C., et al. (2022). ¹²

Población 528 niños de Alemania de entre 7 y 10 años de edad.

252 niños escolares de nacionalidad alemana de entre 7-10 años.

Niños de 8-10 años en alemania. 400 niños escolares, niños y niñas de 12 años de edad de Brasil.

Intervención Evaluar la calidad de vida de niños con caries dental y con hipomineralización incisivo-molar con la versión alemana del cuestionario de percepciones infantiles para niños de 8 a 10 años (CPQ-G8-10) para analizar el impacto en la OHRQoL.

Evaluar la calidad de vida de niños con caries dental y con hipomineralización incisivo-molar con la versión alemana del cuestionario de percepciones infantiles para niños de 8 a 10 años (CPQ-G8-10) para analizar el impacto en la OHRQoL.

Evaluación de la calidad de vida de niños con y sin hipomineralización incisivo-molar y el grado de gravedad de esta afectación. La evaluación se realizó con la versión alemana del cuestionario Child Perceptions Questionnaire (CPQ-G8-10)

Comparación Se realizaron dos grupos de 264 niños cada uno. Un grupo fue dividido para quienes tenían afectación por caries dental y el otro grupo por hipomineralización incisivo-molar.

Se dividieron a los niños en tres grupos de 84. El primero grupo (A), se incluyeron a los niños que presentaban molares asintomáticos e incisivos afectados, el segundo grupo (B) se incluyeron a los niños que solamente presentaban molares afectados y el tercer grupo (C) fue de control y los niños que no presentaban MIH.

Niños con y sin hipomineralización incisivo-molar.

Se realizó un estudio transversal con 400 escolares en la ciudad de Manaus, Brasil. Para evaluar la calidad de vida de los niños con lesiones de caries se usó el cuestionario de Percepciones Infantiles (CPQ11-14), el modelo teórico adaptado de Wilson y Cleary y el modelo SOC. Se tomó en cuenta el índice PUFA/pufa y el índice DMFT. Además, que se incluye el número de dientes cariados, el dolor dental y el apoyo social que tenían.

Relación entre factores emocionales y calidad de vida

Hallazgos Los pacientes con HIM presentaron mayor malestar y síntomas que los pacientes pediátricos con caries. Sin embargo, no quiere decir que la hipomineralización incisivo-molar sea más severa que la caries dental ya que depende de la gravedad que se presente de las enfermedades. Asimismo, se encontró que la caries puede provocar graves efectos en la salud bucodental y en el bienestar general de los pacientes si no se modifican los hábitos dietéticos.

Mientras que la HIM no suele progresar en la misma medida que la caries. Para ambas enfermedades, es muy recomendable tomar las medidas terapéuticas adecuadas para garantizar que estos niños tengan una buena OHRQoL.

Se encontró que dependiendo de los dientes afectados por HIM ya sea en sector anterior o posterior afecta de manera distinta en la calidad de vida de cada paciente. Se encontró que los niños que padecían HIM en dientes en el sector anterior tienen que lidiar más con problemas de bienestar social y emocional. Por otro lado, los niños que presentaban HIM en dientes en el sector posterior se encontró que sufren más síntomas orales y ciertas limitaciones funcionales. Por lo que se llega a la conclusión de que la posición de los dientes afectados provoca diferentes influencias en la OHRQoL percibida por los niños.

En los niños que sufren de HIM se encontró que tenían una peor OHRQoL, es decir presentaban más malestares como síntomas orales, ciertas limitaciones funcionales, afectaba en su bienestar emocional y bienestar social. Con respecto a los niños que no lo padecían. ya que ellos presentaron una calidad de vida más alta y sin tantas limitaciones y malestares.

artículo: Seyma K. (2024) realizó un estudio donde se usó el cuestionario POQL y se obtuvo una media de resultados de 15.10. Se revisaron a 260 niños 130 con HIM y 130 sin HIM, no se especifica la cantidad de hombres y mujeres. En el artículo se encontró

Las consecuencias clínicas de la caries dental no tratada se relacionan con la calidad de vida relacionada con la salud oral. Además, que el estado sintomático de la enfermedad y los factores emocionales tienen relación con la calidad de vida.

puntuaciones altas en la calidad de vida relacionada con la salud bucal, lo que sugiere un efecto adverso en niños con HIM, se observó que los niños con HIM que experimentaron sensibilidad dental se vio más afectada negativamente. Además, se observó que

Tabla 1. Características de los estudios

Calidad de vida relacionada a caries dental e hipomineralización incisivo molar

Seyma K,. et al. (2024). ¹³ Sarra Altner., et al. (2022 ). ¹⁴ Teresa V., et al. (2019). ¹⁵ Shahnaz, M., et al. (2019). ¹⁶

Niños de 8 a 12 años con y sin MIH en el país de Turquía.

Evaluar el impacto de la hipomineralización del incisivo molar (MIH) y la sensibilidad dental en la salud oral en términos de calidad de vida (POQL) Se registró la presencia de la MIH y la caries, los dientes llenos y la falta debido a la caries (usando dmft/s, índices DMFT/S). La sensibilidad dental y el estado de madurez dental se evaluaron con el método Shiff-Cold-Air-Sensitivity-Scale (SCASS) y Demirjian

Para evaluar la OHRQoL en niños de 8 a 14 años, se recopilaron datos desde la perspectiva tanto de los niños como de sus padres. Todos los participantes fueron examinados intraoralmente por el mismo dentista. El estado dental se evaluó mediante los índices DMFT(S)/dmft(s). La experiencia de dolor personal se midió utilizando la Escala de Sensibilidad al Aire Frío de Schiff (SCASS). En los niños con MIH, únicamente se evaluaron los dientes afectados por esta condición, mientras que, en los niños sin MIH, se examinaron todos los primeros molares permanentes presentes.

Entre los niños con MIH, se encontró que la OHRQoL se vio afectada negativamente. Los dientes con el MIH tienden a revelar más sensibilidad dental que los dientes sanos. Muchas afecciones, como tener MIH y la sensibilidad de los dientes, podrían tener un impacto en la OHRQoL. Además, se observó una mayor sensibilidad al estímulo en los dientes con menor estado de madurez dental; la edad y la madurez dentales podrían tener efectos en la sensibilidad dental.

210 niños alemanes de 7- 11 años con caries y MIH severa

Se utilizó la versión alemana del Cuestionario de percepción infantil para niños de 8 a 10 años (CPQ-G8-10). Utilizado antes y después del tratamiento para analizar el impacto en la OHRQoL.

411 niños de 8 a 10 años seleccionados de escuelas públicas en Naucalpan, en el estado de México. La presencia y la gravedad de MIH

Se utilizaron los criterios de la Academia Europea de Odontología Pediátrica (EAPD). El OHRQoL se evaluó utilizando el Cuestionario de Percepción Infantil (CPQ).

454 niños de 5-11 años y sus padres que visitan un hospital dental del gobierno en Delhi, India.

Se evaluaron a 454 binomios (niños, niñas y padres) por el cuestionario Oral Health Related Quality of Life (OHRQoL) y a los padres por el Early Childhood Oral Health Impact Scale (Hi-ECOHIS)

Compara el impacto del tratamiento de dos enfermedades dentales en niños: caries severas y hipomineralización incisivo-molar (MIH) severa, y cómo afecta la calidad de vida relacionada con la salud bucal (OHRQoL). Se investigan los cambios en esta calidad de vida antes y después del tratamiento, usando el cuestionario CPQ-G8–10.

La OHRQoL se evaluó mediante la versión en español del Cuestionario de Percepción Infantil (CPQ8-10)¹⁶, diseñado específicamente para este grupo de edad y validado como un instrumento confiable para su uso en niños mexicanos¹¹. El CPQ consta de 25 preguntas (rango de puntuación: 0–100) distribuidas en cuatro dominios: síntomas orales, limitación funcional, bienestar emocional y bienestar social.

El CPQ8-10 incluye además dos preguntas globales: la primera indaga sobre la percepción general que el niño tiene respecto a su salud oral, y la segunda evalúa el grado en que su condición oral u orofacial afecta su bienestar general.

Los resultados generales mostraron que los niños con formas graves de MIH y dientes cariados tuvieron una puntuación OHRQoL significativamente mejor después del tratamiento.

Los niños con MIH moderada/grave experimentaron un mayor impacto negativo en su OHRQoL en comparación con los niños sin MIH.

Niños con y sin caries dental de la primera infancia

la sensibilidad a los estímulos aumentaba en los dientes con un estado de maduración dental más bajo

Y finalmente en el continente asiático fue 1 artículo de la India. En este artículo se evaluaron 454 binomios (niños,

niñas y cuidadores) con el cuestionario Hi-ECOHIS. Donde fueron evaluados 260 hombres y 194 mujeres. Se encontró que la calidad de vida de los niños que padecen de caries en la infancia temprana se asocia a factores económicos de los padres el tipo de

Se encontró que los elementos de impacto infantil como el dolor, la fiebre, la caries asociada a la hinchazón junto con la dificultad para comer alimentos, la halitosis, la alteración del sueño, el absentismo frecuente de la escuela eran significativamente más frecuentes en los niños con s-ECC que ECC (Caries dental de la primera infancia).

Calidad y dirección

Autor, año Tipo de estudio

Michaelis, L., et al (2021). ⁹ Observacional

Reissenberger, T., et al (2022). 10 Transversal

Joshi, T., et al (2021). ¹¹ Transversal

Ribeiro Junior, C., et al (2022). ¹² Transversal

Tamaño de muestra

528 niños alemanes de 7-10 años de edad. Se dividieron en dos grupos. Un grupo afectado con caries y otro afectado con hipomineralización incisivo molar.

El tamaño de muestra fue de 252 niños los cuales se dividieron en tres grupos de acuerdo con donde se presentaba la hipomineralización.

Grupo A: En dientes anteriores (con molar asintomático afectado por HIM).

Grupo B: En dientes posteriores con molares asintomáticos afectados por HIM (sin incisivos que perjudiquen la calidad de vida).

Grupo C: Grupo control que no presentaba HIM o cualquier otra afectación en ningún diente.

188 niños de 8-10 años.

Fueron evaluados de acuerdo a la severidad de la HIM.

400 niños. Se incluyeron el número de dientes cariados teniendo en cuenta el índice (PUFA/pufa), dolor dental y el apoyo social

Seyma K,. et al (2024) 13 Descriptivo Transversal se incluyeron 260 niños divididos en 2 grupos, 130 con HIM y 130 sin HIM.

Sarra A., et al. (2022)14 Descriptivo parejas pareadas incluyó a 210 niños

Teresa V., et al. (2019) ¹⁵ Transversal Se incluyeron 411 escolares de 8 a 10 años.

M., et al (2019) 16 Transversal Se evaluaron a 454 binomios (niños, niñas y padres) s-ECC.

Edad y sexo de pacientes Instrumento para medir la calidad de vida

Se evaluaron 266 niños varones (50.4%) y 262 niñas mujeres (49.6%) con un promedio de edad de 8.4 (± 1.1 años).

Se evaluaron a 131 niñas y 121 niños. La media de edad fue de 8.3 años (± 2 años).

Se evaluaron a 107 niños (56.9%) y a 81 niñas (43.1%). Con una edad media de 8.80 años (± 0.84 años).

Fueron evaluados 169 niños (42.2%) y 231 niñas (57.8%). Con una edad promedio de 12 años.

260 niños de 8- 10 años.

Child Perceptions Questionnaire CPQ8-10. Version

Child Perceptions Questionnaire CPQ8-10. Versión alemana.

La versión alemana del cuestionario de percepciones infantiles (CPQ-G8-10).

Child Perceptions Questionnaire (CPQ11-14) y escala SOC.

se evaluaron de acuerdo a la declaración de Helsinki. Calidad de vida relacionada con la salud bucal pediátrica (POQL), (Turco-POQL).

niños 7- 11 años de los cuales 107 (51%) son hombres y 103 (49%) mujeres con una media de 9 años. Versión alemana del CPQ8-10.

8- 10 años 411 niños y una edad media de 8.99 (± 0.82), Niños con HIM en comparación con niños sin HIM.

454 binomios La edad media de 454 participantes palmar a los niños fue de 4,21 años (DE = 0,91). Los hombres (n = 260)) fueronmás en número que las mujeres (194).

European Academy of Pediatric Dentistry (EAPD) El OHRQoL se evaluó utilizando el Cuestionario de Percepción Infantil (CPQ).

Oral Health Related Quality of Life (OHRQoL) Hindi version of Early Childhood Oral Health Impact Scale (Hi-ECOHIS).

2. Datos extraídos de los estudios individuales.

alimentación y los hábitos de higiene y la media de resultados del cuestionario de calidad de vida fue de 7.02 (± 5.47).

Discusión

Encontramos que tanto la hipomineralización incisivo molar como la caries dental en niños escolares afectan significativamente su calidad de vida. Los análisis de todos los artículos revisados coinciden en que a medida que aumenta el nivel de gravedad de la hipomineralización incisivo molar (HIM) y de la caries dental, se observa un impacto más significativo en la calidad de vida de los niños.

alemana.
Shahnaz
Tabla

Sample calculation

1 = unspecified/ pilot study, design

2 = Present

Randomization

0 = Not present, 1 = Not clear, 2 = Present (homogeneous groups)

Randomization (method)

0 = unsuitable/ not described, 1 = adequate

Blinding

0 = Not described, 1 = Not clear/ inappropriate, 2 = present and described

Calidad de vida relacionada a caries dental e hipomineralización incisivo molar

Follow-up

0 = incomplete, 1 = intention to treat/other methods of analysis, 2 = full

Response variable

0 = qualitative subjective, 1 = qualitative objective, 2 = quantitative

Concordance of measuring method

0 = Not present, 1 = Not clear, 2 = present/ testing laboratory

Assumptions of the statistical test

0 = Not present, 1 = Not clear/ categorical data, 2 = present and described

Results 0 = incomplete, 1 = complete

La mitad de los artículos seleccionados fueron del país de Alemania y el resto fueron de México, de Brasil, de Turquía y de la India.

Respecto a la hipomineralización incisivo molar (HIM), la gran mayoría de la literatura que fue recopilada indica que los niños tienen HIM, su calidad de

vida se ve mucho más afectada ya que presentan malestares orales, limitaciones funciones que afecta su bienestar emocional y social. De acuerdo con Reissenberg T., et al. (2022) los niños los cuales padecían de HIM en dientes en el sector anterior tienen más problemas de bienestar emocional y social que los niños que presentan HIM

3. Evaluación metodológica de los estudios con el sistema GRADE.

Tabla

Calidad y dirección

Históricamente, uno de los enfoques más utilizados para la rehabilitación de pacientes con reabsorciones óseas moderadas a severas ha sido la colocación de implantes estratégicamente distribuidos en zonas anatómicamente favorables.

Cálculo de la muestra

Aleatorización

Método de aleatorización

Blinding

Seguimiento

Variable de respuesta

Concordancia del método de medición

Supuesto de la prueba estadística

Resultados

en dientes en el sector posterior, ya que tienen síntomas orales y limitaciones funcionales.

Por otro lado, los artículos los cuales hablan de la caries dental nos mencionan

que la caries dental afecta muchos aspectos de la vida, entre ellos los factores emocionales, el realizar ciertas acciones básicas como la presencia de dolor y dificultad al ingerir alimentos y con base lo que menciona Michaelis, L,. et al. (2021), la caries dental irá progresando y los pacientes presentaran mayores efectos graves en la salud si los hábitos dietéticos no se ven modificados. Para ambas patologías se recomienda tomar medidas terapéuticas para que la calidad de vida mejore.

Asimismo, con base al análisis, en 5 de los artículos incluidos se usó el índice CPQ y en los 3 artículos restantes se utilizó el índice POQL, (Hi-ECOHIS) y en uno de ellos se usaron dos tipos de cuestionarios, el CPQ y el SOC para la medición de la calidad de vida. El índice CPQ considera muchos parámetros y entre ellos se encuentran: los síntomas orales, el bienestar emocional, las limitaciones funcionales y el bienestar social.

Figura 3. Gráfico de riesgo de sesgo.

Conclusiones

Para finalizar, la presente revisión sistemática nos arroja que la pregunta de investigación planteada fue contestada, demostrando que tanto la caries dental como la hipomineralización incisivo molar (HIM) tienen un gran impacto en la salud oral de los niños escolares y no solo en ese aspecto, sino que también influye mucho en cómo es la calidad de vida de los individuos. Desde los síntomas orales que pueden padecer y también la involucración del bienestar emocional y social.

Además, respecto al bienestar social, que también se relaciona al emocional, tiene una repercusión directa ya que se pueden llegar a generar ciertas consecuencias como lo es el limitarse a socializar por la vergüenza sobre todo si los órganos dentarios anteriores son los principalmente afectados y

esto a su vez puede generar una disminución significativa en el autoestima y confianza de los niños.

Agradecimientos

Agradecemos a la doctora Concepcion Arenas y al licenciado Victor Ruiz por sus constantes revisiones y comentarios que contribuyeron a la mejora del artículo. Asimismo, queremos agradecer a la Universidad Nacional Autonoma de Mexico y a la Escuela Nacional de Estudios Superiores Unidad León.

Declaración de conflicto de intereses

Las autoras de esta revisión sistemática declaran que no tienen ningún conflicto de interés y que no mantienen relaciones financieras ni personales con ninguna organización que pudieran influir negativamente en el presente trabajo.

Seyma K.

Sarra A.

Michaelis L.

Shanhnaz M

Joshi T.

Ribeiro Junior C.

Teresa V.

Reissenberger T.

Figura 4. Resumen de Riesgo de sesgo.

ambiderm.com.mx

shop.ambiderm.com.mx

Carr. a Bosques de San Isidro
Isidro
Zapopan, Jalisco, México
Lada Sin Costo en la República Mexicana

Higiene oral, autopercepción estética y confort en pacientes con ortodoncia

Introducción: Los principales objetivos del tratamiento ortodóncico son corregir las maloclusiones y mejorar la estética dental; sin embargo, el mismo tratamiento puede asociarse a reacciones negativas al requerir aparatología visible que altera aspectos funcionales, estéticos y de higiene oral del paciente. Estos factores podrían influir en la motivación del paciente y determinar una baja adherencia al tratamiento ortodóncico, lo que podría generar retrasos y complicaciones en la estabilización de la oclusión. Objetivo: Evaluar el nivel de satisfacción del paciente con brackets en relación con la higiene oral, el confort y la autopercepción estética. Metodología: Se trata de un estudio transversal con muestreo por conveniencia. Se evaluó el nivel de satisfacción relacionado con la higiene oral, la autopercepción estética y el confort de pacientes tratados en el Instituto mediante un cuestionario validado de autorreporte. Se realizó un análisis descriptivo de la muestra y el cálculo del puntaje del cuestionario; posteriormente, se efectuó un análisis bivariado entre las variables edad, sexo, tratamiento previo y tiempo bajo tratamiento

Higiene oral, autopercepción estética y confort en pacientes con ortodoncia

ortodóncico. Resultados: Participaron 74 pacientes con una edad promedio de 27.1 ± 8.2 años. El 55.4% (n = 41) fueron mujeres. Los hombres presentaron un menor nivel de satisfacción ( = 33.2 ± 6.4) que las mujeres ( = 35.2 ± 8.2). Aquellos pacientes que recibían tratamiento de ortodoncia por primera vez obtuvieron un menor puntaje —y, por tanto, un menor nivel de satisfacción— ( = 33.4 ± 7.6) que quienes ya habían estado sometidos a este tratamiento ( = 35.2 ± 4.6). Los pacientes con hasta 1 año de tratamiento mostraron un menor nivel de satisfacción ( = 33.2 ± 4.6) que aquellos con aparatología por más de 1 año ( = 35.1 ± 3.1). Conclusión: Es importante evaluar, en cada paciente, los factores que puedan influir de forma negativa en su calidad de vida a lo largo del tratamiento, con la finalidad de plantear intervenciones efectivas enfocadas en crear conciencia sobre las expectativas y los posibles inconvenientes derivados del mismo.

Palabras clave: satisfacción, estética, confort, higiene, brackets.

C.D. Octavio Bautista López*, M. en C. José Cuauhtémoc Jiménez Núñez*°, Esp. Gustavo Castillo Salazar* *Instituto de Ortodoncia Bioprogresiva °Facultad de Estudios Superiores Iztacala

Las maloclusiones son consideradas un importante problema de salud pública. De acuerdo con la Organización Mundial de la Salud (OMS), estas constituyen el tercer problema de salud bucal más relevante después de la caries dental y las enfermedades periodontales.1 Se definen como alteraciones en la posición de los componentes dentales o esqueletales del sistema estomatognático.2 El efecto de las maloclusiones no es solo funcional y/o estético, sino que también influye en los aspectos psicosociales y en la calidad de vida de quienes las padecen.3

Uno de los principales efectos de las maloclusiones está relacionado con la estética facial, ya que esta incide en la forma en que la sociedad percibe a las personas y en cómo se perciben a sí mismas. Una apariencia dental desagradable puede estigmatizar a una persona, obstaculizar el logro profesional, fomentar estereotipos negativos y afectar de manera negativa la autoestima.4

El abordaje de las maloclusiones se lleva a cabo mediante el tratamiento

1. En relación con la limpieza de mis brackets y dientes, luego del cepillado, estoy:

2. Respecto a mantener limpios los dientes y brackets durante el día, me siento:

3. Respecto al tiempo que me toma en dejar mis dientes y brackets limpios, estoy:

4. En relación a la apariencia estética que tengo actualmente con brackets, me siento:

5. Sobre cómo me siento cuando me expreso frente a los demás, estoy:

6. En relación a hablar o conversar y la visibilidad de los brackets, me siento:

7. Respecto a dolor en mis dientes, me siento:

8. Respecto a dolor en mis labios y/o mejillas, estoy:

9. Cuando pronuncio las palabras, me siento:

10. Respecto a molestias durante la ingestión de alimentos, estoy:

Tabla 1. Encuesta de satisfacción.

Tabla 2. Opciones de respuestas de la encuesta de satisfacción.

Puntaje Respuesta

1 2 3 4 5 Muy insatisfecho Insatisfecho Aceptable Satisfecho Muy satisfecho

ortodóncico, en el cual se emplean distintos aditamentos con la finalidad de armonizar la oclusión y los rasgos faciales del tercio medio e inferior del rostro.5 A pesar de los beneficios de la ortodoncia, esta puede asociarse con reacciones negativas en los pacientes al requerir, como componente esencial, el uso de brackets o aparatos fijos visibles durante el tratamiento, los cuales suelen dificultar la higiene bucal y acciones como la masticación y la fonación.6

Aunque a lo largo de los años ha habido avances en la sofisticación y técnica de estos aditamentos, los pacientes suelen reportar repercusiones del tratamiento en los ámbitos antes mencionados, lo que incrementa la posibilidad de abandonar el tratamiento de forma prematura, dejando incompleto el abordaje de la maloclusión.7

La preocupación por el impacto de los factores asociados a un tratamiento odontológico en la calidad de vida ha ido en aumento, lo que se ha comprobado con la aplicación de encuestas poblacionales que incluyen la evaluación de la satisfacción del paciente en relación con la práctica odontológica general y con especialidades como la prostodoncia y la ortodoncia.7-8

Existen diversos instrumentos diseñados para medir la satisfacción del paciente de acuerdo con su autopercepción y su capacidad para masticar, hablar y realizar una higiene adecuada. Una de las primeras propuestas se desarrolló en 2001: un cuestionario de autorreporte compuesto por 41 preguntas, que utilizaba una escala de Likert del 1 al 5 para responder afirmaciones relacionadas con el tratamiento, considerando los extremos “Totalmente de acuerdo” y “Totalmente en desacuerdo”. Este cuestionario se validó en inglés con 299 pacientes tratados en la Universidad de Carolina del Norte.9

Con el tiempo surgieron diferentes versiones de este instrumento, con el fin de delimitar mejor las dimensiones evaluadas, simplificar el número de ítems y realizar las adaptaciones idiomáticas y culturales pertinentes.10-11 La validación y adaptación al español se realizó en 2016. Esta versión, al igual que la original en inglés, evalúa 3 dimensiones relacionadas con la higiene oral, la autopercepción estética y el

Dominio 1: Higiene Oral
Dominio 2: Autopercepción
Dominio 3: Confort

confort, a través de 10 preguntas: 3 enfocadas al dominio higiene, 3 al dominio autopercepción estética y 4 al confort ( Tabla 1 ). Estas se responden mediante autorreporte en una encuesta con opciones en escala de Likert, de acuerdo con el nivel de satisfacción (Tabla 2).12

El manejo de la información consistió en que, de acuerdo con las respuestas obtenidas, se calcula un puntaje en el cual a menor puntaje corresponde menor satisfacción por parte del paciente portador de aparatología ortodóncica fija. El puntaje máximo es de 50, mientras que el mínimo es de 10. No existen puntos de corte para establecer niveles de satisfacción categorizados.

El objetivo de este estudio fue evaluar el nivel de satisfacción de los pacientes del Instituto de Ortodoncia Bioprogresiva campus Arboledas, de acuerdo con la higiene oral, la autopercepción estética y el confort a lo largo de su tratamiento.

Metodología

Se realizó un estudio transversal con muestreo por conveniencia. Se evaluaron pacientes tratados en el Instituto de Ortodoncia Bioprogresiva campus Arboledas durante los meses de agosto a diciembre de 2024.

Dentro de los criterios de selección, se incluyó a todos los pacientes portadores de aparatología ortodóncica fija, de ambos sexos, mayores de edad y

que otorgaron su consentimiento informado. Se excluyó a pacientes que acudían por urgencia, a aquellos con irregularidades en sus citas durante los últimos 6 meses y a quienes no completaron la encuesta.

En la sala de espera, los pacientes fueron abordados para la aplicación del cuestionario. En esta etapa se recolectó información sobre las variables edad, sexo, si era la primera vez bajo tratamiento y tiempo bajo tratamiento ortodóncico.

Se llevó a cabo la captura y análisis de la información con el software STATA versión 16. Se realizó un análisis descriptivo de la muestra, seguido de un análisis bivariado entre el puntaje y las variables estudiadas mediante la media ( ) y la desviación estándar (±). Finalmente, se realizaron comparaciones utilizando la prueba estadística U de Mann-Whitney, debido a la distribución de los datos.

Resultados

Descripción de la muestra

En el estudio participaron 74 pacientes con una edad promedio de 27.1 ± 8.2 años. El 55.4 % (n = 41) de la muestra fueron mujeres. Según las veces que habían estado sometidos al tratamiento, el 62.1 % (n = 46) cursaban por primera vez bajo tratamiento ortodóncico, mientras que el 37.9 % (n = 28) ya habían recibido tratamientos ortodóncicos previos.

Higiene oral, autopercepción estética y confort en pacientes con ortodoncia

Respecto al tiempo bajo tratamiento, el 63.5 % (n = 47) llevaba hasta 1 año bajo tratamiento, y el 36.5 % (n = 27) tenía más de 1 año con aparatología ortodóncica.

Nivel de satisfacción de acuerdo con las variables estudiadas

Edad

De acuerdo con los grupos de edad (adultos jóvenes de 18 a 35 años / adultos de 36 a 64 años), no se encontraron diferencias estadísticamente significativas entre la edad y el puntaje de la encuesta sobre el nivel de satisfacción (p > 0.05) (Tabla 3).

Sexo

Los hombres tuvieron un menor nivel de satisfacción respecto a la higiene, confort y autopercepción estética que las mujeres (Tabla 4).

Número de veces bajo tratamiento

Aquellos pacientes que por primera vez recibían tratamiento de ortodoncia tuvieron un menor puntaje, es decir, un menor nivel de satisfacción que aquellos que ya habían estado sometidos a este tratamiento (Tabla 5).

Tiempo bajo tratamiento

Aquellos pacientes que tenían hasta un año con el tratamiento tuvieron un menor nivel de satisfacción que aquellos con el uso de aparatología mayor a un año (Tabla 6).

Discusión

En la muestra, el puntaje obtenido fue de = 34.4 ± 5.9. No se encontró diferencia estadística significativa (p > 0.05) entre el nivel de satisfacción y los grupos de edad; sin embargo, sí se detectaron diferencias respecto al sexo, ya que los hombres tuvieron un nivel menor de satisfacción. Esto podría explicarse porque los hombres suelen estar menos familiarizados con el autocuidado y muestran menor tolerancia a los efectos del tratamiento, hallazgo similar al reportado en otro estudio.13

Respecto al número de veces bajo tratamiento, aquellos que recibían tratamiento por primera vez tuvieron un nivel de satisfacción menor que quienes ya habían estado sometidos a tratamientos previos. Esto podría deberse a que los participantes con experiencia previa ya cuentan con expectativas y conocimiento sobre las afectaciones y limitantes que ocasiona el tratamiento.14 Finalmente, los sujetos que llevaban hasta 1 año con el tratamiento mostraron un nivel de satisfacción menor que quienes llevaban más tiempo. Esto podría explicarse por el período de adaptación que debe cursar el paciente una vez aplicado el tratamiento.15

Puntaje
Tabla 3. Nivel de satisfacción de acuerdo con la edad. *Prueba estadística U de Mann-Whitney.
Tabla 4. Nivel de satisfacción de acuerdo con el sexo. *Prueba estadística U de Mann-Whitney.

Aunque la muestra evaluada en este estudio fue pequeña, permitió reconocer diferencias en el nivel de satisfacción según distintos factores. Se requieren estudios futuros con muestras más grandes, así como la evaluación de un mayor número de variables que puedan influir en el tratamiento del paciente. También sería valioso estudiar si el nivel de satisfacción varía a lo largo del tratamiento mediante un diseño longitudinal.

Conclusiones

En pacientes bajo tratamiento ortodóncico en el Instituto de Ortodoncia Bioprogresiva campus Arboledas,

se encontró asociación entre el sexo, el número de veces que se recibe el tratamiento y el tiempo bajo tratamiento ortodóncico con el nivel de satisfacción respecto a la higiene oral, la autopercepción estética y el confort.

Ética

Este proyecto fue revisado y avalado para su ejecución por la Comisión de Ética de la Facultad de Estudios Superiores Iztacala con el registro CE/FESI/012025/1858.

Tabla 5. Nivel de satisfacción de acuerdo con las veces bajo tratamiento de ortodoncia.

*Prueba estadística U de Mann-Whitney.

Tabla 6. Nivel de satisfacción de acuerdo con el tiempo bajo tratamieanto de ortodoncia.

*Prueba estadística U de Mann-Whitney.

Higiene oral, autopercepción estética y confort en pacientes con ortodoncia

Referencias

1. Cartes-Velásquez R, Araya E, Valdés C. Maloclusiones y su impacto psicosocial en estudiantes de un liceo intercultural. International journal of odontostomatology. 2010;4(1):65-70.

2. Burgos D. Prevalencia de maloclusiones en niños y adolescentes de 6 a 15 años en Frutillar, Chile. International journal of odontostomatology. 2014;8(1):13-9.

3. Marques LS, Ramos-Jorge ML, Paiva SM, Pordeus IA. Malocclusion: esthetic impact and quality of life among Brazilian schoolchildren. American journal of orthodontics and dentofacial orthopedics. 2006;129(3):424-7.

4. Shaw W, Meek S, Jones D. Nicknames, teasing, harassment and the salience of dental features among school children. British Journal of Orthodontics. 1980;7(2):75-80.

5. Walton DK, Fields HW, Johnston WM, Rosenstiel SF, Firestone AR, Christensen JC. Orthodontic appliance preferences of children and adolescents. American Journal of Orthodontics and Dentofacial Orthopedics. 2010;138(6):698. e1-. e12.

6. Oliveira SCd, Furquim RD, Ramos AL. Impact of brackets on smile esthetics: laypersons and orthodontists perception. Dental Press Journal of Orthodontics. 2012;17:64-70.

7. Mandall N, Vine S, Hulland R, Worthington H. The impact of fixed orthodontic appliances on daily life. Community dental health. 2006;23(2):69-74.

8. Wu A, McGrath C, Wong RW, Wiechmann D, Rabie ABM. Comparison of oral impacts experienced by patients treated with labial or customized lingual fixed orthodontic appliances. American Journal of Orthodontics and Dentofacial Orthopedics. 2011;139(6):784-90.

9. Bennett ME, Camilla Tulloch J, Vlg KW, Phillips CL. Measuring orthodontic treatment satisfaction: questionnaire development and preliminary validation. Journal of public health dentistry. 2001;61(3):155-60.

10. Al Shahrani I, Tikare S, Togoo RA, Al Qahtani F, Assiri K, Al Meshari A. Patient s satisfaction with orthodontic treatment at king Khalid university, college of dentistry, Saudi Arabia. Bangladesh Journal of Medical Science. 2015;14(2):146-50.

11. Zhang M, McGrath C, Hägg U. Patients' expectations and experiences of fixed orthodontic appliance therapy: impact on quality of life. The Angle Orthodontist. 2007;77(2):318-22.

12. Gacitúa Cártes P, Werlinger Cruces F, Ríos Erazo M, Álvarez Palacios E. Satisfacción del uso de brackets metálicos en relación a higiene oral, confort y autopercepción estética. Revista Cubana de Estomatología. 2016;53(1):28-42.

13. Feldmann I. Satisfaction with orthodontic treatment outcome. Angle Orthodontist. 2014;84(4):581-7.

14. Díaz F VE, Córtés C N. Efectos del tratamiento de ortodoncia en la imagen del cuerpo y en la autoestima de los adolescentes. Informe final. Rev Fac Odontol Univ Antioq. 2005:125-34.

15. Huamán Aguilar L, Soldevilla Galarza L, Castro-Rodríguez Y. Percepción del dolor, rasgos de personalidad y actitud del paciente hacia el tratamiento ortodóntico. Revista cubana de investigaciones Biomedicas. 2020;39(4).

Manejo interceptivo de maloclusión clase II esqueletal

Manejo interceptivo de maloclusión clase II esqueletal con remanente de crecimiento: reporte de un caso clínico

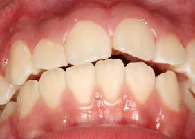
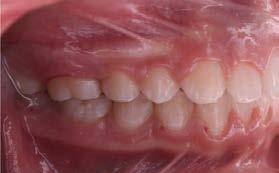
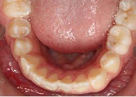
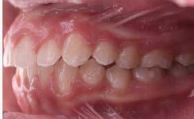
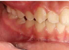
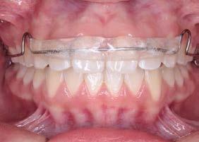
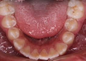
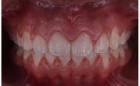
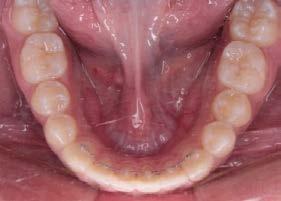
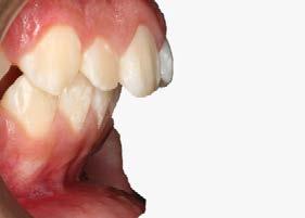
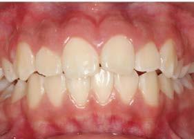
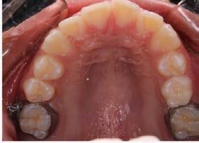
Introducción: La maloclusión clase II provoca proporciones irregulares en el perfil facial. Puede deberse a un maxilar adelantado y a incisivos superiores proinclinados y protruidos. Esta condición puede corregirse mediante el uso de aparatos ortopédicos en pacientes en crecimiento.

Objetivos: Conseguir clase I canina, controlar el crecimiento vertical, disminuir la convexidad esqueletal, reducir la sobremordida horizontal y mejorar el perfil facial. Caso clínico: Paciente femenina de 9 años, clase II esqueletal, biotipo dolicofacial, perfil convexo, clase II molar, clase II canina y proinclinación de incisivos superiores e inferiores. Resultados: Se logró clase I canina, se controló el crecimiento vertical, se redujo la convexidad esqueletal, se mejoró la sobremordida horizontal y el perfil facial. Conclusiones: El uso combinado de aparatos ortopédicos y aparatología fija en pacientes en crecimiento, junto con un diagnóstico y plan de tratamiento acertado, permite obtener resultados exitosos y estables en la corrección de estas maloclusiones.

Palabras clave: arco extraoral, clase II, ortopedia, cantilever, crecimiento.

C.D. Kristian Alberto Jiménez Torres.1

C.D.E.O. Myrna Citlaly Gómez Camacho.2

Dra. Jacqueline Adelina Rodríguez Chávez.2

Dra. Guadalupe Teresa Limón Toledo.2

Dra. Alejandra Noemí Paz Cristóbal.2

Mtra. Dora María Rubio Castillón.2

1 Residente de la Especialidad en Ortodoncia. Departamento de Clínicas Odontológicas

Integrales. Centro Universitario de Ciencias de la Salud. Universidad de Guadalajara.

2 Profesor de la Especialidad en Ortodoncia. Departamento de Clínicas Odontológicas

Integrales. Centro universitario de Ciencias de la Salud. Universidad de Guadalajara.

La relación maxilomandibular desempeña un papel importante en la posición de los molares y puede clasificarse como clase I, II o III, de acuerdo con la clasificación de Angle. Esqueletalmente, esta relación solo puede determinarse mediante estudios radiológicos; los modelos de estudio solo ofrecen una aproximación clínica.1

La maloclusión clase II es considerada una de las deformidades craneofaciales más prevalentes a nivel mundial.2-3 Estas discrepancias pueden presentarse de las siguientes formas: una protrusión del maxilar superior con una mandíbula en posición normal; una mandíbula en posición posterior con respecto al maxilar, que se encuentra en posición normal; o una combinación de ambos factores (protrusión maxilar y retroposición mandibular).1

Estas irregularidades esqueletales generan un perfil facial convexo y protrusión dental, lo que provoca incompetencia labial y tensión en el músculo mentoniano. Esta condición puede ser estéticamente inaceptable para algunos pacientes que buscan tratamiento para mejorar su balance facial.4

Existen diversos factores que contribuyen al desarrollo de la clase II, como la genética, factores ambientales, disfunción muscular miofacial y hábitos perniciosos, entre otros.5

Dada la alta incidencia de maloclusiones clase II en el entorno clínico, el ortodoncista debe contar con múltiples opciones terapéuticas, tales como: corrección ortopédica, camuflaje mediante extracciones o cirugía ortognática.6

El uso de ortopedia en pacientes clase II en crecimiento puede producir cambios positivos, como una oclusión funcional, un perfil facial más armónico, una mejor relación dentaria entre

ambos maxilares y una sonrisa equilibrada. Para una corrección adecuada de la clase II, es fundamental permitir el crecimiento del maxilar inferior y redirigir el crecimiento anterior del maxilar superior. Se ha demostrado que, mediante mecanismos de tracción extraoral —como el arco extraoral—, pueden lograrse estos objetivos.7

A continuación, se presenta el caso clínico de una paciente con clase II esqueletal que fue tratada con aparatos ortopédicos y aparatología fija.

Presentación del caso clínico

Paciente femenina de 9 años de edad, sin antecedentes médicos de relevancia, que acude a las clínicas odontológicas acompañada de su madre, refiriendo como motivo de consulta: “Tengo mi mordida adelantada”.

En el examen clínico extraoral, la paciente presenta biotipo dolicofacial, perfil convexo, cara cuadrada, mentón retruido, tercio inferior aumentado, incompetencia labial, ángulo nasolabial ligeramente disminuido y sonrisa media, con exposición de más del 75% de los dientes (Figura 1).

En el análisis intraoral se observa dentición mixta, con presencia de los dientes 65 y 75; clase II molar derecha (subdivisión), clase II canina, arcadas superior e inferior ovoides, sobremordida horizontal de 7 mm, sobremordida vertical de 3 mm, curva de Spee de 2 mm y apiñamiento leve tanto en el arco superior como en el inferior (Figura 2).

Figura 1. Fotografías iniciales extraorales.

En la ortopantomografía, la proporción corona-raíz es de 2:1; los dientes 25 y 35 se encuentran en vía de erupción; se observa apicoformación incompleta de los dientes 14, 15, 24, 25, 34, 35, 44 y 45, así como cornetes inferiores hipertróficos (Figura 3). En la radiografía lateral de cráneo, se evidencia una discrepancia sagital entre el maxilar y la mandíbula. De acuerdo con el análisis de Lamparski, la paciente se encuentra en el estadio 2 (fase de aceleración), con un remanente de crecimiento estimado entre 65 % y 85 % (Figura 4A).

El análisis cefalométrico (Figura 4B), realizado con el software Dolphin Imaging® versión 9.0, basado en los análisis de Steiner, Tweed y Wits, arrojó los siguientes hallazgos: clase II esqueletal, patrón de crecimiento vertical y proinclinación de incisivos superiores e inferiores (Tabla 1).

Los objetivos de tratamiento fueron: lograr clase I canina, controlar el crecimiento vertical, disminuir la sobremordida horizontal y mejorar el perfil facial.

intraorales iniciales: frontal, oclusal, laterales y sobremordidas.

Manejo interceptivo de maloclusión clase II esqueletal
Figura 2. Fotografías
Figura 3. Radiografía ortopantomografía.

Figura 4. A y B. Radiografía lateral de cráneo y trazado cefalométrico.

Tabla 1. Comparación de medidas cefalométricas Steiner/Wits/Ricketts iniciales y finales. Ángulo SNA: Posición anteroposterior del maxilar. Ángulo SNB: Posición anteroposterior de la mandíbula. Ángulo ANB: Relación anteroposterior entre el maxilar y la mandíbula. Wits: Grado de desarmonía entre maxilares. U1-SN: Angulación del incisivo superior con la base del cráneo.U1/L1: Relación interincisal U1-NA: Relación incisomaxilar. U1-NA (mm): Distancia entre el borde incisal del incisivo superior y el plano NA. L1- NB: Relación incisomandobular. L1- NB (mm): Distancia entre el borde incisal del incisivo inferior y el plano NB. IMPA: Incisivo inferior al plano mandibular. Línea E: Armonía del perfil.

La paciente fue remitida a la clínica de exodoncia para la extracción de los dientes deciduos, con el fin de iniciar la fase ortopédica y, posteriormente, la fase ortodóntica.

Se cementaron bandas con tubo triple en los primeros molares superiores utilizando ionómero de vidrio fotocurable Multi-Cure (3M™ UNITEK™), para adaptar un arco extraoral (3M™ Facebows Series 5) de tracción occipital, aplicando una fuerza aproximada de 400 gramos por lado, con una indicación de uso de 16 horas diarias durante un periodo de 6 meses (Figura 5).

Después del uso del arco extraoral, se procedió a la colocación de aparatología fija MBT 0.022” × 0.028” Nu-Edge® (TP Orthodontics), utilizando el kit de resina Enlight™ Light Cure Adhesive (Ormco®), siguiendo las indicaciones del fabricante. La cementación se realizó únicamente en la arcada inferior para comenzar a eliminar la curva de Spee, empleando un arco inicial 0.014” de níquel-titanio (NiTi) (Figura 6).

El tratamiento continuó con la siguiente secuencia de arcos: 0.016” × 0.022” NiTi, 0.019” × 0.025” NiTi y 0.019” × 0.025” de acero inoxidable (SS), con el objetivo de corregir completamente la curva de Spee. En la etapa con el arco 0.019” × 0.025” SS, se decidió colocar brackets únicamente en los caninos superiores, complementando con un cantilever elaborado con alambre 0.016” × 0.022” SS, anclado desde el primer molar superior al canino

superior en ambos cuadrantes. Se emplearon elásticos 3/16", 6 oz (Ormco®), con vectores de clase II desde el primer molar inferior hacia el cantilever correspondiente en cada lado, para lograr la clase I canina (Figura 7).

Una vez alcanzada la clase I canina, se suspendió el uso del cantilever y se cementó la aparatología fija completa en la arcada superior. Se inició con un arco 0.012” NiTi y se indicaron elásticos en triángulo 3/16", 4.5 oz (Ormco®), como anclaje para el mantenimiento de la clase canina (Figura 8).

Completadas las etapas del tratamiento ortodóntico, se retiró la aparatología

fija. Como retención, se colocó un aparato tipo Hawley circunferencial con pantalla vestibular superior, y una barra fija de canino a canino en la arcada inferior (Figura 9). La paciente manifestó satisfacción con el tratamiento, al notar cambios benéficos en su perfil facial (Figura 10). Se logró con éxito la clase I canina, se controló el patrón de crecimiento vertical, se redujo la convexidad esqueletal y se mejoró la sobremordida horizontal (Figura 11).

En la ortopantomografía final se observa buen paralelismo radicular y adecuada proporción después del tratamiento ortodóntico (Figura 12).

La radiografía lateral de cráneo, junto con el trazado final, muestra mejoría en los tejidos blandos y, por ende, en el perfil de la paciente, así como un correcto establecimiento de las sobremordidas horizontal y vertical, y la corrección de la clase II (Figuras 13A y 13B).

Figura 5. Colocación de bandas tripleas superiores y adaptación de arco extraoral con tracción occipital.
Figura 6. Colocación de aparatología fija MBT slot 0.022 inferior y arco 0.014” NiTi inicial.

El análisis de sobreimposición de las radiografías laterales permite comparar el trazado inicial con el final, evidenciando cambios tanto dentales como faciales (Figura 14).

Discusión

Como lo mencionan Pawar et al.,⁸ una de las principales razones para buscar tratamiento ortodóntico está relacionada con la estética dentofacial, ya que se ha demostrado que este aspecto puede tener efectos negativos en el ámbito psicosocial de los pacientes. En el presente caso, la paciente refirió como motivo de consulta: “Tengo mi mordida adelantada”, lo que evidencia su inconformidad con el aspecto dentofacial.

Coincidimos con Oh et al.9 en que es posible obtener cambios significativos en la relación sagital maxilomandibular, así como mejoras dentales, en pacientes tratados con aparatos ortopédicos como el arco extraoral.

Macussi et al.10 señalan que el tipo de tracción aplicada con el arco extraoral debe elegirse con base en el patrón de crecimiento y la divergencia facial del paciente, ya que los resultados varían entre quienes presentan crecimiento vertical o horizontal. Este criterio fue considerado en el presente caso.

Tal como mencionan Sambataro et al., 11 el uso del arco extraoral con tracción alta constituye una estrategia terapéutica común en el tratamiento interceptivo de pacientes clase II, especialmente en aquellos con tendencia al crecimiento vertical, pues la intrusión de los molares superiores favorece a los pacientes hiperdivergentes.

7. Colocación de cantilever elaborado de alambre 0.016 x 0.022” acero.

Figura 8. Colocación de aparatología completa fija MBT slot 0.022 superior y arco 0.012” NiTi inicial.

Manejo interceptivo de maloclusión clase II esqueletal
Figura

Por esta razón, se decidió utilizar un arco extraoral de tracción alta, dado que se ha demostrado su efectividad para corregir la protrusión maxilar y mejorar la relación molar.

De acuerdo a Proffit,6 para lograr un control efectivo del crecimiento mediante el uso de arco extraoral, este debe utilizarse en promedio entre 10 y 12 horas diarias. Se ha estudiado que la hormona del crecimiento se libera principalmente en las primeras horas de la noche, por lo que se recomienda su uso desde la tarde hasta la mañana siguiente. La fuerza aplicada debe estar en un rango de 300 a 400 gramos por lado, tal como se indicó en este caso.

Asimismo, coincidimos con Grögli et al., 12 quienes reportaron resultados estables y favorables en su investigación longitudinal, en la que evaluaron radiográficamente durante 10 años la relación anteroposterior entre maxilar y mandíbula en pacientes clase II

esqueletal en crecimiento tratados con arco extraoral. En el presente caso, el tratamiento interceptivo fue especialmente oportuno, aprovechando el remanente de crecimiento de la paciente, lo que permitió obtener resultados positivos y estables.

Durante la fase de ortodoncia correctiva, se indicó el uso de un cantilever para finalizar la distalización de los cuadrantes superiores y establecer clase I canina, además de corregir la sobremordida horizontal. Tal como afirman Villanova et al.:13 los elásticos intermaxilares, combinados con aditamentos como el cantilever, son altamente efectivos en la corrección de maloclusiones clase II. El cantilever, al ser un aditamento intraoral que transmite una fuerza distal directa al molar, potencia el vector horizontal del elástico intermaxilar; además, su diseño reduce el componente vertical al anclarse el elástico en un gancho situado por debajo del plano oclusal superior.

Figura 9. Retenedor superior e inferior.
Figura 10. Fotografías extraorales finales.

Finalmente, Sánchez et al.14 demostraron en 2019 una mayor eficacia y menos efectos secundarios —como la inclinación de caninos y molares— al comparar distalizaciones con y sin cantilever en pacientes tratados con elásticos de vector clase II. En el presente caso, se obtuvieron resultados similares, con una distalización efectiva desde el molar hasta el canino, sin efectos adversos notorios.

Conclusión

Un diagnóstico preciso, junto con una intervención oportuna durante las etapas de crecimiento, permite obtener cambios positivos significativos tanto en la estructura esqueletal como en la función oclusal. El presente caso clínico demuestra que el uso combinado de aparatología ortopédica y ortodoncia

fija, basado en una planificación individualizada, puede lograr resultados estables, funcionales y estéticamente satisfactorios. Esta experiencia reafirma la importancia del tratamiento interceptivo en pacientes en desarrollo, aprovechando el potencial de crecimiento para corregir maloclusiones complejas de forma no quirúrgica.

Manejo interceptivo de maloclusión clase II esqueletal
Figura 11. Fotografías intraorales finales.
Figura 12. Radiografía ortopantomografía final.
Figura 13. A y B. Radiografía lateral de cráneo final y trazado cefalométrico final.

Figura 14. Sobreimposición digital.

Referencias

1. Tokunaga C, Katagiri K, Elorza P. Prevalencia de las maloclusiones en el departamento de ortodoncia de la división de estudios de postgrado e investigación de la facultad de odontología de la universidad nacional autónoma de méxico. Rev Odont Mex. 2014;18(3):175-179. DOI: 10.1016/S1870-199X(14)72068-3

2. Ajami S, Morovvat A, Khademi B, Jafarpour D, Babanouri N. Dentoskeletal effects of class II malocclusion treatment with the modified twin block appliance. J Clin Exp Dent. 2019;11 (12):e1093-e1098. DOI:10.4317/jced.56241

3. Oberti G, Rey D, Villegas C, Sierra A. Alternativa de tratamiento para la distalización de molares superiores con una barra traspalatina anclada a un mini-implante. CES Odontol. 2010;23.(2):73-8.

4. Gónzalez RM, Lara P. Corrección no quirúrgica del perfil de una maloclusión clase ll. Rev Odont Mex. 2014;2(4):268-272. DOI: 10.1016/S2395-9215(16)30044-7

5. Cao L, Li J, Yang C, Hu B, Zhang X, Sun J. High-efficiency treatment with the use of traditional anchorage control for a patient with class II malocclusion and severe overjet. Am J Orthod Dentofacial Orthop. 2019;155(3):411–20. DOI: 10.1016/j.ajodo.2017.08.030

6. Esquivel A, Aguilar J, Aranda R. Tratamiento de una maloclusión clase ll división 1 en un paciente adulto. Reporte de un caso. Rev Odont Mex. 2015;3(1):39-46. DOI: 10.1016/j. rmo.2016.03.011

7. Proffit W, Fields H, Larson B, Sarver D. Ortodoncia contemporánea. Sexta edición. Barcelona, España: Elsevier; 2019.

8. Pawar O, Joneja P, Choudhary D. Psychological factors influencing motivation, cooperation, participation, satisfaction, self appraisal and individual quality of life in adolescents and adults undergoing orthodontic treatment. Orthod J Nepal. 2021;11(1):34-9. DOI: 10.3126/ojn.v11i1.39078

9. Oh E, Ahn S, Sonnesen L. Evaluation of growth changes induced by functional appliances in children with class II malocclusion: superimposition of lateral cephalograms on stable structures. Korean J Orthod. 2020;50(3):170-180. DOI: 10.4041/kjod.2020.50.3.170

10. Miguel JAM, Masucci C, Fernandes L, Artese F, Franchi L, Giuntini V. Dentoskeletal effects of the maxillary splint headgear in the early correction of class II malocclusion. Prog Orthod. 2020;21(1):11. DOI: 10.1186/s40510-020-00311-x

11. Sambataro S, Rossi O, Bocchieri S, Fastuca R, Oppermann N, Levrini L y col. Comparison of cephalometric changes in class II growing patients with increased vertical dimension after high-pull and cervical headgear treatment. Eur J Paediatr Dent. 2023;24(1):36-41. DOI: 10.23804/ejpd.2023.24.01.06

12. Grögli M, Eliades T, Koletsi D, Koretsi V. Long-term stability after high-pull headgear combined with fixed appliances: a retrospective cohort study of growing class II patients. Int Orthod. 2023;21(2):100754. DOI: 10.1016/j.ortho.2023.100754

13. Vilanova L, Henriques J, Patel M, Reis R, Grec R, Aliaga A y col. Class II malocclusion treatment changes with the Jones jig, distal jet and first class appliances. J Appl Oral Sci. 2020;28:e20190364 DOI: 10.1590/1678-7757-2019-0364

14. 14. Sánchez L, Upegui J, Urrea A, Galeano I, Vivares A. Comparación del movimiento del canino y molar superior utilizando elásticos de clase II con y sin sliding Jig: un ensayo clínico aleatorizado. Revista Nacional De Odontología. 2019;15(29): 1-18. DOI: 10.16925/23574607.2019.02.03

Labio paladar hendido unilateral

El labio y paladar hendido (LPH) es una malformación congénita caracterizada por la fusión incompleta del labio y/o paladar. Afecta a 1 de cada 700 nacidos vivos. Su manejo requiere un equipo multidisciplinario a largo plazo y planificación prequirúrgica. En nuestro Hospital tenemos predilección por las técnicas Millard para labio hendido unilateral por sus buenos resultados estéticos y funcionales. Para el tratamiento del paladar hendido la técnica más usada es la Von Langenbeck, con 67% de éxito en la primera cirugía y baja tasa de fístulas. La atención del LPH en nuestro hospital es un poco limitada por la falta de algunas especialidades y a veces la baja colaboración de los padres, dificulta su seguimiento continuo.

Palabras Clave: LPH, labio, paladar hendido, fisura orofacial

El labio y paladar hendido (LPH) son las anomalías craneofaciales congénitas, caracterizadas por la fusión incompleta del labio y/o paladar durante el desarrollo embrionario.1

Las primeras evidencias del LPH fueron descubiertas por Dawson y Smith en momias egipcias. Además, en el museo arqueológico de Corinto en Grecia se encuentra una estatuilla de terracota del año 700-300 a.C que representa un payaso con labio hendido completo, modelado con tal meticulosidad que se aprecian claramente los efectos secundarios de la premaxila y las alas nasales.2,3

Epidemiología

Según la Organización Mundial de la Salud el LPH presenta una prevalencia de 1 de cada 700 nacidos vivos, lo que la convierte en una de las anomalías congénitas más conocidas a nivel mundial.

Se observa con mayor frecuencia entre los asiáticos y nativos americanos (1 de cada 500), y es menos común en las poblaciones africanas (1 de cada 2500).4,5,6

El labio hendido, con o sin fisura palatina unilateral se presenta con mayor frecuencia de lado izquierdo y en hombres. El paladar hendido es más común en mujeres.7,6

Etiología

En el 25% de los pacientes se conoce la causa del labio y paladar hendido, en el 75% la etiología es multifactorial; a su vez, de este porcentaje 20 a 25% presenta antecedentes familiares de labio y paladar hendido. Así como influyen factores ambientales como el tabaquismo, consumo de alcohol, desnutrición durante el embarazo, consumo de cocaína, consumo inadecuado de folato y vitaminas, entre otros.7,8,9

La clasificación de Kernahan y Stark (1958) para labio y paladar hendido

Yozelint Chamu Abarca. Pasante del Servicio Social de Odontología del Hospital Naval de Acapulco.

Itzel Iveth Javier Metodio. Pasante del Servicio Social de Odontología del Hospital Naval de Acapulco.

Dra. Esther Diana Carolina Ferraez Castañeda. Cirujano Maxilofacial adscrita al servicio de Odontología del Hospital Naval de Acapulco.

se basa en la embriología y divide las hendiduras en labiales y palatinas, tanto unilaterales como bilaterales, y completas o incompletas, porque el labio hendido puede ser unilateral o bilateral, completo o incompleto. El paladar hendido puede abarcar solo el paladar primario (incluyendo el alvéolo y el labio), el paladar secundario (duro y blando), o ambos, y también puede ser unilateral o bilateral, completo o incompleto.9,10

Características clínicas, radiográficas y tomográficas

El paciente con LPH unilateral presenta características clínicas como la región nasal asimétrica entre ambos lados, tabique nasal desviado, cartílago alar aplanado e hipoplásico, ala nasal aplanada y desplazada, columnela desviada o corta, ausencia del piso nasal, cresta filtral ausente del lado afectado, arco de Cupido oblicuo, bermellón discontinuo y oblicuo. Con respecto en el LPH bilateral se presenta

una punta nasal sin proyección, ancha sin definición y de perfil bajo, los cartílagos alares son aplanados e hipoplásicos,el tabique nasal es central y sostiene a la premaxila, la columnela es corta.10

Diagnóstico

Para su diagnóstico fetal el labio hendido completo bilateral suele visualizarse fácilmente porque todo el segmento de la premaxila sobresale de la cara y puede manifestarse como una masa ecogénica.

La ecografía fetal (US) y la resonancia magnética (RM) permiten realizar el diagnóstico intrauterino, lo que influirá en la atención durante el embarazo, el puerperio y la vida del niño.11,12

Diagnóstico diferencial

Generalmente el diagnóstico se realiza durante el nacimiento por lo que se debe descartar la relación con algún síndrome ya que se asocian alrededor de 200 síndromes con el LPH y 400 con paladar hendido aislado. Entre ellos se encuentran trisomía 21 (Down), trisomía 18 (Edwards), trisomía 13 (Patau), síndrome de Apert, Van Der Woude, Treacher Collins, Displasia frontonasal, entre otros.10,13

Tratamiento

El manejo del LPH debe ser guiado por un equipo multidisciplinario para lograr una recuperación integral.13

Se requiere de una planificación preoperatoria según la “Regla de los 10” propuesta por Wilhelmsen y Musgrave, la cual establece que se debe tener al menos 10 semanas de edad, alcanzar un peso de 4.5 kg (10 lb), tener una hemoglobina superior a 10 g/dl y un recuento de leucocitos <10,000/mm antes de someterse a una cirugía.10,13

Existen diferentes técnicas y la elección depende de la extensión de la hendidura y la preferencia del cirujano.13

La técnica Millard de rotación y avance es la más utilizada para la queiloplastia primaria, así como la Von langenbeck para la palatoplastia. Siendo las técnicas más antiguas, descritas 1955 y 1861 respectivamente.10,14

Técnica de rotación-avance de Millard (1955) consiste en diseñar una línea de incisión curva en el segmento interno del labio desde el punto más alto del arco de Cupido hasta la base de la fisura, rotar el tejido hacia abajo desde la base de la fisura y realizar una incisión horizontal en la base bermellón del segmento externo de la fisura para avanzar hacia adentro (Figura 1).10,14,15

Técnica de palatoplastia de Von langenbeck (1861) consiste en una incisión a lo largo del borde oral de la fisura y una incisión relajante lateral a lo largo del reborde alveolar posterior para crear 2 colgajos mucoperiósticos elevados desde los huesos del paladar duro (Figura 2).10, 14,16

Labio paladar hendido unilateral

Figura 1. Técnica de Millard. Fuente: León

A., Sesma A., Fernández G. Técnica de cierre vertical en labio hendido: Reporte de 837 casos y revisión de la literatura.

Cirugía Plástica Iberolatinoamericana.

Es importante mencionar que existen otras técnicas para reparar la hendidura labial unilateral como:

• Técnica de Tennison-Randall

• Técnica de Colgajo Cuadrangular de Le Mesurier

• Tecnica de kernahan Bauer10,15

Caso Clínicos

Paciente masculino de 6 meses de edad el cual presenta diagnóstico de fisura labioalveolopalatina completa izquierda, se realizó el cierre de la misma mediante el uso de la técnica Millard explicada anteriormente (Figura 3 A y B).

Paciente masculino de 1 año y 6 meses de edad con diagnostico de paladar hendido blando. Bajo anestesia general se realizó palatoplastia primaria mediante técnica de Von Langenbeck modificada con un adecuado cierre de la herida sin tensión. (Figura 4 A y B).

Nuestro tercer caso clínico es un paciente masculino de 5 años de edad con amplia fistula palatina por complicación de palatoplastia primaria realizada hace 3 años. El manejo quirúrgico fue mediante técnica Von Langenbeck ya antes descrita, debido a

Figura 2. Técnica de Von Langenbeck:

A) incisiones, B) se eleva la mucosa del paladar duro entre el hueso y el periostio, C) se sutura la mucosa nasal y el plano muscular, D) cierre mucosa oral.

las extensas dimensiones de la fistula. Actualmente sin recidiva de la misma. (Figura 5 A y B)

Discusión

La técnica Millard tiene una tasa éxito de 83.6% siendo la más popular universalmente ya que tiene resultados óptimos en todos los tipos de labio hendido unilateral, desde hendiduras pequeñas hasta las más amplias, permitiendo resultados estéticos y funcionales siendo nuestra técnica de elección en la mayoría de los casos.17,18

La elección de múltiples cirujanos por esta técnica se debe a que proporciona un resultado estético satisfactorio, puesto que la incisión labial sigue el contorno del margen del filtrum lo que disimula la cicatriz y el colgajo triangular superior al rotar y avanzar lateralmente, lo cual mejora el contorno del ala de la nariz y evita la retracción lineal.19

Una encuesta mundial realizada en el 2005 en los principales centros de corrección de labio paladar hendido reveló que el 84% de los cirujanos plásticos utilizan variaciones de la técnica de rotación y avance o Millard. Nuestra predilección por esta técnica sobre otras se debe a su versatilidad, pero siempre respetando los principios básicos de la cirugía estética.20

Estudios realizados en el Departamento de Cirugía Oral y Maxilofacial del Hospital de Defectos Faciales de la cruz roja brasileña, la técnica de Von Langenbeck resultó eficaz en un 67% de los casos para el cierre de la hendidura desde la primera cirugía, así como se demostró una menor presencia de

fístula solo con 14%, en comparación con otras técnicas.21

Siendo la técnica más antigua y que aún se utiliza ampliamente para la palatoplastia primaria, la cual permite un cierre con menos tensión en los tejidos, utilizan colgajos mucoperiósticos que aseguran de buen aporte vascular, la reaproximación del músculo elevador del velo del paladar y la veloplastia intravelar para reconstruir el cabestrillo muscular mejorando los resultados del habla, siendo la más usada en nuestros pacientes y con menor tasa de recidiva.22

Conclusión

En México el LPH es un padecimiento multifactorial que a su vez requiere

de una atención coordinada de múltiples especialidades para optimizar el resultado del tratamiento como lo son, otorrinolaringólogo, cirujano plástico, odontología, pediatría, patólogo del habla, ortodoncista, audiólogo, pediatra, psicólogo, trabajo social entre otros. Debido a la frecuencia de anomalías concomitantes, es esencial una evaluación de dismorfología temprana, existen anomalías adicionales por lo que debe considerar una evaluación genética integral. Nuestro hospital dispone de poco personal y limitada disponibilidad de especialidades para ofrecer un tratamiento integral aunado a esto la poca cooperación por parte de los padres para dar continuidad al tratamiento dificulta aún más cumplir con un correcto protocolo de atención en estos pacientes.

Figura 3. Fotografía clínica preoperatoria (A). Fotografía clínica postoperatoria (B).
Figura 4. Fotografía clínica preoperatoria (A). Fotografía clínica postoperatoria(B).
Figura 5. Fotografía clínica preoperatoria (A). Fotografía clínica postoperatoria (B).

Referencias

1. Alayyash A, Alam MK, Rashid ME, Mathew A, Di Blasio M, Ronsivalle V, et al. Incidencia prenatal de labio y paladar hendido y abuso de cocaína en padres: una revisión sistemática y un metaanálisis. BMC Oral Health. 2024;24(1):185. doi.org/10.1186/s12903-024-03884-9

2. Bhattacharya S, Khanna V, Kohli R. Labio hendido: la perspectiva histórica. Indian J Plast Surg. 2009;42(Suppl):S4-S8. doi:10.4103/0970-0358.57180

3. Fernández J. Gonzalez J. Aspectos Históricos y culturales de las fisuras labiopalatinas. Odontopediatría y Ortodoncia, Universidad de Madrid. 1997;82 https://ortoface.com/wp-content/ uploads/2022/05/3_Aspectos-historicos-y-culturales-de-las-fisuras-labiopalatinas.

4. Kruppa K, Krüger E, Vorster C, der Linde J van. Labio leporino y/o paladar hendido y riesgos asociados en países de ingresos medios-bajos: Una revisión sistemática. Revista Craneofacial del Paladar Hendido . 2021;59(5):568-576. doi: 10.1177/10556656211018952

5. Alghonemy, W. Y., & Gaber Ashmawy, M. (2025). Meta-analysis and systematic review for the genetic basis of cleft lip and palate. Journal of oral biology and craniofacial research, 15(1),146–152. DOI: 10.1016/j.jobcr.2024.12.012

6. Aditi A. Bhuskute, Travis T. Tollefson.Reparación de labio hendido, moldeado nasoalveolar y rinoplastia primaria de labio leporino. Clínicas de Cirugía Plástica Facial de América del Norte,Volumen 24, Número 4, 2016. Doi.org/10.1016/j.fsc.2016.06.015

7. Putri, FA; Pattamatta, M.; Anita, SES; Maulina, T. Las Incidencias globales de labio y paladar hendido en pacientes pediátricos y sus asociación con factores demográficos: Una revisión narrativa.Niños 2024,11, 322. https://doi.org/10.3390/children11030322

8. Vathulya M, Singh N, Naithani M, Kessler P. Comparación intercontinental de la influencia del tabaquismo en la incidencia de labio y paladar hendido no sindrómico: un metanálisis y una revisión sistemática. Arch Craniofac Surg 2024;25(2):51-61. https://doi.org/10.7181/acfs.2023.00437

9. Kulesa-Mrowiecka M, Lipowicz A, Marszałek-Kruk BA, Kania D, Wolański W, My liwiec A, Dowgierd K. Características de los factores que influyen en la aparición de labio hendido y/o paladar hendido: análisis de un caso y revisión de la literatura. Niños. 2024;11(4):399. https://doi.org/10.3390/ children11040399

10. Rozen SM, Fuller SC. Capítulo 1. En: Rozen S, Redett R, Meara J, Alonso N, Kirschner R, Losee JE, et al., editores. Comprehensive cleft care: a family-based approach. 2nd ed. Shelton, CT: PMPH USA; 2022.

11. Baeza-Pagador, A.; Tejero-Marti nez, A.; Salom-Alonso, L.; Camañes Gonzalvo, S.; García-Sanz, V.; Paredes Gallardo, V. Métodos diagnósticos para la detección prenatal del labio y paladar hendido: una revisión sistemática.J. Clin. Med.2024,13, 2090. https://doi.org/10.3390/jcm13072090

12. Abramson, Z. R., Peacock, Z. S., Cohen, H. L., & Choudhri, A. F. (2015). Radiology of Cleft Lip and Palate: Imaging for the Prenatal Period and throughout Life. Radiographics : a review publication of the Radiological Society of North America, Inc, 35(7), 2053–2063. https://doi.org/10.1148/ rg.2015150050

13. Mitchell L. Worley MD, Krishna G. Patel MD, PhD, Lauren A. Kilpatrick MD. Cleft Lip and Palate. 45 (2018) 661–678.https://doi.org/10.1016/j.clp.2018.07.006

14. Naidu P, Yao CA, Chong DK, Magee WP III. Cleft palate repair: a history of techniques and variations. Plast Reconstr Surg Glob Open. 2022;10(3):e4019. doi:10.1097/GOX.0000000000004019.

15. León Pérez J.A., Sesma Bernal A.L., Fernández Sobrino G. Técnica de cierre vertical en labio hendido: Reporte de 837 casos y revisión de la literatura. Cir. plást.Iberolatinoam.http://scielo.isciii. es/scielo.php?script=sci_arttext&pid=S0376-78922008000300003&lng=es

16. Vázquez I, Patiño B. Fisura labiopalatina. En: Sociedad Española de Cirugía Oral y Maxilofacial (SECOM). Manual de cirugía oral y maxilofacial. 2.ª ed. Madrid: Martín-Granizo R (coordinador); 2004: 1347-79.

17. Gallego R. Rodríguez G, Pantilie B. Lobera F. Gavin M. Moral I.Fisura labiopalatina, revisión de nuestra experiencia en su corrección quirúrgica (2019) Boletín de la Sociedad de Pediatría de Aragón, La Rioja y Soria Vol. 49 Núm. 3 Pág. 79-83.

18. Han K, Park J, Lee S, Jeong W. Técnica personal para la reparación definitiva del labio hendido unilateral completo: técnica de Millard modificada. Arch Craniofac Surg. 2018;19(1):3–12. doi:10.7181/ acfs.2018.19.1.3.

19. Fujikami T. K. Asencio O. Cameras J. et al, editores. Atlas de cirugía Ortognática Maxilofacial Pediátrica. (1995); 65-70.

20. Narayanan PV. Técnica de avance de rotación de Millard para la reparación del labio hendido unilateral. Cleft Lip Palate Craniofac Anomal. 2021 ;8(2):157-62 . doi:10.4103/jclpca.jclpca_12_21.

21. Sato FRL, da Silva ML, Moreira RWF. Evaluación de dos técnicas de palatoplastia en pacientes con paladar hendido. Otorrinolaringol Cir Cabeza Cuello. 2016;1(5):119-21. doi:10.15761/OHNS.1000130.

22. Rossell P,Cotrina O. Cáceres E.Nuevo enfoque en el tratamiento quirúrgico de las fisuras palatinas congénitas. Cir. plást. iberolatinoam. 2015. https://dx.doi.org/10.4321/S0376-78922015000400008

Yo como papá, puedo influir en la salud dental de mi hijo

Yo como papá, puedo influir en la salud dental de mi hijo

La salud bucal en la primera infancia es crucial, ya que las caries son una de las enfermedades crónicas más comunes en esta etapa. Las madres tienen un papel esencial como modelo de conducta, influyendo directamente en los hábitos de higiene dental de sus hijos. Metodología: Se aplicó una encuesta a 10 madres de familia divididas en 2 grupos según su nivel educativo: Grupo 1: 5 madres con estudios avanzados (universidad o posgrado), Grupo 2: 5 madres con estudios básicos (primaria o secundaria) Se evaluó la frecuencia del cepillado, la edad de inicio de la higiene oral y las fuentes de información que utilizan para aprender sobre salud bucal infantil. Discusión: El estudio muestra que el nivel educativo influye en el conocimiento sobre salud bucal. Las madres con estudios avanzados demostraron mayor

disposición a informarse y prevenir enfermedades, consultando fuentes profesionales y digitales. Se destaca que la actitud, responsabilidad y motivación personal son factores clave que pueden compensar las diferencias educativas. Conclusión: La salud bucal infantil debe abordarse como una responsabilidad compartida. La promoción de programas educativos inclusivos y el acceso equitativo a información confiable son vitales para prevenir caries y mejorar el bienestar infantil. Las madres, como principales cuidadoras, juegan un rol determinante en el establecimiento de hábitos saludables que perdurarán toda la vida.

Palabras clave: salud bucal infantil, caries dental, madres, educación, prevención, actitud parental, higiene oral, entorno social.

La salud bucal en la primera infancia es un tema crucial, dado que las caries dentales son una de las enfermedades crónicas más comunes en la infancia. Las madres desempeñan un rol fundamental en el cuidado de la salud bucal de sus hijos, debido a que los niños están en aprendizaje. El conocimiento y las actitudes de las madres respecto a la salud bucal de niños menores de 4 años, así como la evaluación de caries en esta etapa es relevante como figura a seguir y que depende el conocimiento de los papás y la actitud para poder lograr que el niño tenga una buena higiene bucal (Cayó- Tintaya et al 2016).

Importancia de la salud bucal en la infancia

La salud bucal es esencial para el bienestar general y el desarrollo de los niños. Las caries pueden causar dolor, infecciones y problemas con la alimentación y el habla, afectando la calidad de vida del niño. Además, los primeros años de vida son cruciales para establecer hábitos de higiene bucal que perduren toda la vida.Las enfermedades bucales en etapas tempranas de la vida predisponen a problemas dentales en el futuro, interfieren en el aprovechamiento escolar, generan dificultades para dormir, comer y jugar, lo que afecta el bienestar general

Pérez Pérez, Maricruz. Coordinadora en la facultad de Odontopediatría en la escuela Centro Educativo Multidisciplinario en Rehabilitación Oral. Tarímbaro, Michoacán. Silva Escamilla, Lucía Viridiana. Alumna de la Especialidad en Odontopediatría en la escuela Centro Educativo Multidisciplinario en Rehabilitación Oral. Tarímbaro, Michoacán.

1. Nos señala la mayor parte de la población se cepilla los dientes 2 veces al día.

Gráfica 2. Nos señala la mayor parte de la población cepilla los dientes después del primer año.

y repercute negativamente en el crecimiento y desarrollo de los niños (Guizar et al., 2019).

Factores que influyen sobre el conocimiento de las madres sobre la salud bucal

El nivel de conocimiento de las madres sobre la salud bucal de sus hijos varía considerablemente. Factores como el nivel educativo, el acceso a información y la cultura influyen en este conocimiento (Delgado et al., 2016).

Estos factores de las madres influyen en el hijo de manera que la caries dental constituye una de las causas principales de pérdida dental, esto afecta a la masticación, la digestión y la fonación del individuo; puede producir un dolor intenso, disminuyendo la calidad de vida, provocando mayor demanda en los servicios de salud del país y la necesidad de grandes gastos económicos (Narváez y López 2015).

Es fundamental que las madres comprendan la importancia de:

Alimentación: La leche materna es beneficiosa, pero la alimentación nocturna sin limpieza posterior puede incrementar el riesgo de caries. El biberón solo debe ser utilizado durante el proceso de alimentación y cuando se administra a los bebés líquidos, mientras que el agua deben de ofrecerse generalmente en tacitas y de esta forma reducir los riesgos de contaminación con hongos u otros microorganismos (Delgado et al., 2016).

Gráfica

Yo como papá, puedo influir en la salud dental de mi

Actitudes de las Madres hacia la Salud Bucal

Las actitudes de las madres también juegan un papel crucial en la prevención de caries. Algunas madres pueden subestimar la importancia de la salud bucal en los primeros años creyendo que los dientes de leche no requieren cuidado intensivo debido a su naturaleza temporal. Es vital cambiar estas actitudes a través de educación y conciencia.

Actitudes positivas:

Valoración de la higiene oral desde temprana edad: muchas madres reconocen la importancia de iniciar el cepillado dental desde la erupción del primer diente, incluso antes del primer año de vida (Martínez et al.,2011).

Compromiso con la prevención: se observa una actitud favorable hacia la prevención de enfermedades bucales, como la caries de infancia temprana, mediante visitas regulares al odontólogo (Martínez et al.,2011).

Interés por la educación en salud bucal: las madres muestran disposición a recibir información y participar en programas educativos sobre higiene oral, alimentación saludable y uso adecuado del flúor (Martínez et al., 2011).

Modelado de hábitos saludables: actúan como ejemplo para sus hijos, promoviendo rutinas de cepillado y evitando prácticas perjudiciales como el uso prolongado del biberón con líquidos azucarados (Martínez et al.,2011).

Responsabilidad activa en el cuidado diario: las mamás asumen un rol protagónico en la supervisión del cepillado, la elección de alimentos y la identificación de signos de problemas dentales (Martínez et al.,2011).

Además, las actitudes de los padres hacia la salud bucal pueden influir significativamente en la manera en que los niños perciben la importancia de cuidar sus dientes. En muchos casos, se subestima la higiene de los

Gráfica 3. Nos señala la mayor parte de la población se informa por medio de familiares y amigos.

dientes de leche debido a su carácter temporal, lo que puede generar problemas a largo plazo (Franco et al., 2004).

El entorno juega un papel importante en la transmisión del conocimiento sobre la higiene bucal. Los niños aprenden a través de la interacción con sus familiares, compañeros y experiencias diarias. Por ello, es vital que los padres refuercen activamente prácticas saludables en el hogar y promuevan una cultura de prevención (Franco et al., 2004).

Los conocimientos en cambio, provienen de diferentes mecanismos con los que las personas hacen contacto en todas las etapas de su vida: los medios masivos de comunicación, la escuela, la relación con las demás personas dentro del mismo núcleo familiar (abuelos, hermanos, padres) o dentro del grupo social (vecinos, compañeros de trabajo, amigos), los acontecimientos de la vida diaria y las características del ambiente (Franco et al 2004).

Metodología:

Se realizó una encuesta tomando como población 10 madres de familia:

Nivel de Conocimiento sobre Salud Bucal Infantil

Objetivo: evaluar si el nivel educativo de las madres influye en el conocimiento y prácticas de salud bucal en niños menores de 4 años.

Perfil de las participantes:

• Grupo 1: 5 madres con estudios avanzados (universidad o posgrado).

• Grupo 2: 5 madres con estudios básicos (educación primaria o secundaria).

En el Gráfico 1 y 2 se muestra con qué frecuencia los papás o cuidadores cepillan los dientes de sus hijos y desde qué edad comenzaron hacerlo.

En el Gráfico 3 y 4 se muestra quién le ha proporcionado información sobre la salud bucal y quien se encarga del cepillado.

Discusión

Los resultados obtenidos a partir de las encuestas aplicadas a madres que acudían a consulta revelan aspectos relevantes sobre cómo el nivel educativo influye aunque no determina el cuidado de la salud bucal en los niños. Se trabajó con una muestra intencional compuesta por 5 madres con estudios avanzados y 5 con estudios básicos.

Se observó que las madres con mayor grado educativo mostraron más curiosidad y disposición a aprender sobre la salud bucal de sus hijos, posiblemente por su mayor exposición a información técnica, acceso a internet, o capacidad de analizar recomendaciones médicas. Su actitud denota un enfoque preventivo, buscando orientación directamente en fuentes especializadas.

Yo como papá, puedo influir en la salud dental de mi

A pesar de esta tendencia general, también se identificaron madres con estudios básicos que mostraron una excelente disposición y práctica en el cuidado bucal de sus hijos, lo que evidencia que la formación académica no es el único determinante del compromiso parental. La motivación personal, el sentido de responsabilidad y las redes de apoyo pueden suplir en gran medida la falta de escolaridad formal.

Un hallazgo interesante fue la diferencia en las fuentes de información:

• Las madres con estudios básicos tienden a guiarse por consejos de familiares o vecinos.

• En cambio, las madres con estudios avanzados buscan orientación directamente con profesionales de salud o por medios digitales confiables.

• Esto refleja un aspecto sociocultural importante: la forma en que se construyen saberes prácticos depende del capital educativo, pero también del entorno social.

• Un punto clave en la discusión fue que la responsabilidad hacia los hijos no debería estar condicionada

al nivel socioeconómico. La información sobre salud bucal está disponible para el público en general a través de campañas, centros de salud y escuelas, por lo que el acceso a la educación en salud debe ser promovido de forma inclusiva.

Conclusión

La salud bucal en la infancia es una responsabilidad compartida entre profesionales de la salud y cuidadores, especialmente las madres. Mejorar el conocimiento y las actitudes hacia la salud bucal puede reducir significativamente la incidencia de caries y promover un futuro más saludable para los niños. Los conocimientos, en cambio, provienen de diferentes mecanismos con los que las personas hacen contacto en todas las etapas de su vida los medios masivos de comunicación, la escuela, la relación con las demás personas dentro del mismo núcleo familiar (abuelos, hermanos, padres) o dentro del grupo social (vecinos, compañeros de trabajo, amigos), los acontecimientos de la vida diaria y las características del ambiente.

Gráfica 4. Nos señala que, en la mayor parte de la población, mamá y papá son los encargados del cepillado de sus hijos.

Referencias

1. Cayo-Tintaya, N. V., Cosme-Raymundo, T. A., & Morales-Vadillo, R. (2019). Dental caries and its relationship with the level of knowledge on the oral health of parents in preschools. (2019). Revista KIRU, 16(3). https://portalrevistas.aulavirtualusmp.pe/index.php/Rev-Kiru0/article/view/1597

2. Delgado Pilozo, M. E., Chusino Alarcon, E. D., & Bravo Cevallos, D. M. (2016). Nivel de conocimiento de higiene oral de las madres y su influencia en la salud bucodental menores 0 – 3 años. Revista Publicando, 3(7), 90-97. Recuperado a partir de https://revistapublicando.org/revista/index. php/crv/article/view/111

3. Franco, A. M., Santamaría, A., Kurzer, E., Castro, L., & Giraldo, M. (2009). El menor de seis años: Situación de caries y conocimientos y prácticas de cuidado bucal de sus madres. CES Odontología, 17(1), 19–29. Recuperado a partir de https://revistas.ces.edu.co/index.php/odontologia/ article/view/461

4. Guizar Mendoza, J. M., López Ayuso, C. A., Amador Licona, N., Lozano Palomino, O., & García Gutiérrez, C. A. (2019). Determinants of oral health care related to the frequency and severity of dental caries in preschool children. Nova Scientia, 11(22), 85–101. https://doi.org/10.21640/ns.v11i22.1708

5. Martínez, Farith González, Barrios, Carmen Cecilia Sierra, & Salinas, Luz Edilma Morales. (2011). Conocimientos, actitudes y prácticas en salud bucal de padres y cuidadores en hogares infantiles, Colombia. Salud Pública de México, 53(3), 247-257. Recuperado en 04 de julio de 2025, de http://www. scielo.org.mx/scielo.php?script=sci_arttext&pid=S0036-36342011000300009&lng=es&tlng=es.

Turn static files into dynamic content formats.

Create a flipbook
Issuu converts static files into: digital portfolios, online yearbooks, online catalogs, digital photo albums and more. Sign up and create your flipbook.