Revista Dentista y Paciente 201 | Mayo 2025

Page 1


BOLETÍN

Un desértico camino en la esterilización

INVESTIGACIÓN CLÍNICA

Explantación atraumática y recambio de implantes mal posicionados y afectados por periimplantitis sumado a la utilización de implantes estrechos y cortos. Enfoque mínimamente invasivo de un caso de atrofia ósea moderada

CASO CLÍNICO

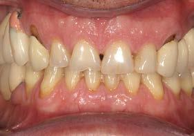
Tratamiento de mordida profunda, con arco utilitario, en paciente en crecimiento

ESTUDIO

Riesgo de pérdida de dientes con cuidado periodontal de apoyo

Corix® 70 Plus Touch Screen*

Le ofrece todo lo que Ud. necesita para un Óptimo Radiodiagnóstico

Intra-Oral, con la Mayor Seguridad Radiológica

Si la Seguridad Radiológica, como Operador de un equipo de Rayos-X, es algo que desconoce o no le preocupa, es mejor que lea en: www.corix.us todos los detalles.

Corix® 70 Digital V3

Corix® 70 Digital V3

Obtener imágenes

Obtener imágenes

Radiográficas Intra-Orales en un corto tiempo y con la menor dosis de radiación

Radiográficas Intra-Orales en un corto tiempo y con la menor dosis de radiación

Ahora es posible!!!

Ahora es posible!!!

Los equipos

Corix® 70 Junior*

Le ofrecen: Calidad, Economía y Seguridad Radiológica

Mayo 2025

La Universidad Nacional Autónoma de México (unam) ha emitido alertas e informes sobre el sarampión, enfatizando la importancia de la vacunación y las medidas de prevención.

Según el diario El País, en México alcanzan ya los 362 casos de sarampión confirmados, como informó el Secretario de Salud David Kershenobich. De ellos, la gran mayoría (347) se concentran en Chihuahua, el estado que más está sufriendo el embate del brote. Incluso ya se ha reportado el primer fallecido en México por sarampión: un hombre de 31 años, sin vacunar y con daños renales, cuyo estado se agravó por la diabetes que padecía. Hay al menos 4 casos confirmados en Campeche, otros 4 en Oaxaca y en Sonora, respectivamente, y sendos casos en Sinaloa, Querétaro y Zacatecas.

La alarma saltó hace aproximadamente un mes, cuando se detectaron los primeros 22 casos, 18 en Chihuahua y 4 en Oaxaca, que ha permanecido estable.

La Secretaría de Salud lanzó un aviso epidemiológico a todos los hospitales para que mantuvieran la vigilancia, que están extremando ahora con la recuperación de las Semanas Nacionales de Vacunación.

En otras noticias más alegres, del 30 de abril al 4 de mayo se llevará a cabo la 80 EXPO AMIC 2025 en el WTC de la CDMX. Recordemos que es la exposición dental más grande del mundo de habla hispana. De manera simultánea, se celebrará el Congreso Nacional e Internacional de la Facultad de Odontología de la UNAM. Desde el 30 de abril al 2 de mayo habrá conferencias, y el 3 de mayo será la exposición de carteles.

¡Allá nos vemos!

Mtro. Carlos Adolfo Espinosa García Especialidad en Odontología Legal y Forense Maestría en Odontología

10 | CALIDAD Y DIRECCIÓN

Revisión sistemática: Calidad de vida en pacientes con cáncer de cabeza y cuello desde la perspectiva integral de la rehabilitación

22 | BOLETÍN

Mucho cuidado con los equipos de rayos X intraorales portátiles. ¿Está justificada esta advertencia?

24 | ENCICLOPEDIA ODONTOLÓGICA

Análisis de la experiencia de los adultos mayores: ¿Cómo perciben la calidad del servicio en los consultorios dentales?

Editorial Renascence S.A. de C.V.

Directora editorial

Patricia López Guerra patricia.lopez@dentistaypaciente.com

Jaime Francisco Martínez Aceves† jmartinez@dentistaypaciente.com

Directora Editorial

Mariangel Martínez López mmartinez@dentistaypaciente.com

Director de Arte y Diseño

Jesús Salas Pérez jesasez@dentistaypaciente.com

Coordinador Editorial

Marco A. Vergara Salgado marversa@dentistaypaciente.com

Ejecutivos Comerciales y de Negocios

Carlos Martínez García, Gabriela Dolorez Ocadiz, Edson Aarón Hernández

Producción y Circulación

Edson Aarón Hernández

Fotografía e Ilustraciones

Editorial Renascence

Suscripciones

Edson Aarón Hernández

Preprensa e Impresión

Offset Impresión Creativa S.A de C.V.

Distribución

Comercializadora GBN S.A. de C.V.

Calzada de Tlalpan #572, desp. C-302, col. Moderna

Contabilidad y Administración

L. C. y E. F. Renato Muñoz

director científico

Dr. Carlos Espinosa García

Especialista en Odontología Legal y Forense consejo editorial

Dr. Francisco Javier Diez de Bonilla Calderón

Catedrático de la F.O de la UNAM

Dr. Francisco Magaña Moheno

Centro de Especialidades Odontológicas

Javier Portilla Robertson

Exdirector de la Facultad de Odontología de la UNAM

Especialista en Patología Bucal

C.D.E.O. Arturo Alvarado Rossano†

Profesor y Especialista en Ortodoncia y Ortopedia Craneofacial en la Facultad de Odontología. UNAM. Asesor Académico y Coordinador de Difusión de la AMOCOAC.

C.D. Manuel García Luna y González Rubio

Dra. Ana Gabriela Carrillo Varguez

Coordinadora de la especialidad en endodoncia UABC Tijuana. Coordinadora de Investigación y Posgrado F.O. UABC

M.C. Ernestina Santillana Marín

Subdirectora de CISALUD UABC

William James Maloney, D.D.S. Clinical Associate Professor New York University

universidad anáhuac méxico norte

C.D. Carlos Robles Bonilla Coordinador de la Licenciatura de Cirujano Dentista

C.D. Sergio Antonio Ojeda León Profesor Titular de Odontopediatría de la Licenciatura de Cirujano Dentista

C.D. Bernardo Grobeisen Weingersz Profesor Titular de Clínica Integral de la Licenciatura de Cirujano Dentista

C.D. Norma Ibañez Mancera.

Profesora Titular de Patología Bucal de la Licenciatura de Cirujano Dentista

Dirección del Derecho de Autor certificado de reserva al uso exclusivo no. 04-2008022718312200-102 con fecha 27 de Marzo del 2008. Gobernación de la H. Comisión Calificadora de Publicaciones y Revistas Ilustradas, certificado de licitud de contenido 5328, certificado de licitud de título 7411, franqueo pagado, publicación mensual permiso no. PP09-02106, SEPOMEX. Las opiniones expresadas en los artículos y en los anuncios publicados no significan de ninguna manera juicios, criterios, ideas o cualquier otro concepto por parte de la editorial; reflejan únicamente las ideas y pensamientos de sus autores. Los artículos, entrevistas, resúmenes, publirreportajes, fotografías y cualquier otro material son exclusivos de la editorial, y no se autoriza la reproducción total o parcial por ningún medio sin previa autorización del editor. Para cualquier asunto relacionado con suscripción, distribución, comercialización, anuncios, contenido u otro propósito, favor de dirigirse a la editorial. Impreso en MV IMPRESIONES, SA DE CV.

Dentista y Paciente® Publicación mensual correspondiente al mes de MAYO DE 2025. editada por Editorial Renascence S.A. de C.V., Rancho Jigüingo 29, Prado Coapa, Ciudad de México, 14350. tel. 56846632, fax 56793656. Distribuida en locales cerrados, depósitos dentales, universidades, congresos y exposiciones. Editora responsable: Mariangel Martínez López. Fotoarte de portada: Editorial Renascence.

distribución certificada por el padrón nacional de medios impresos de la dirección general de medios impresos de la secretaría de gobernación no. 007-136. www.gobernacion.gob.mx

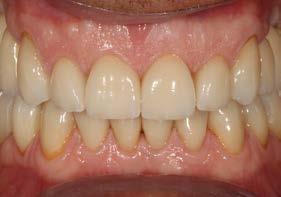
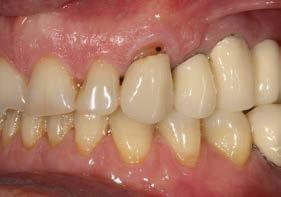
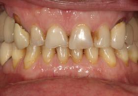
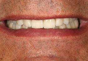
42 | INVESTIGACIÓN CLÍNICA

Explantación atraumática y recambio de implantes mal posicionados y afectados por periimplantitis sumado a la utilización de implantes estrechos y cortos. Enfoque mínimamente invasivo de un caso de atrofia ósea moderada

58 | CASO CLÍNICO

Tratamiento de mordida profunda, con arco utilitario, en paciente en crecimiento

62 | ESTUDIO

Riesgo de pérdida de dientes con cuidado periodontal de apoyo

Revisión sistemática: Calidad de vida en pacientes con cáncer de cabeza y cuello desde la perspectiva integral de la rehabilitación. Parte 2

Revisión sistemática: Calidad de vida en pacientes con cáncer de cabeza y cuello desde la perspectiva integral de la rehabilitación

Morikawa-Yáñez, Juan Pablo Naoshi. Maestro en Educación y Docencia, Escuela Nacional de Estudios Superiores, Unidad León, Universidad Nacional Autónoma de México.

López-López, Diego Josafat. Gutiérrez de Velazco Patiño, Ximena. TinajeroCuevas, Milton Uriel. Alumnos de la Licenciatura en Odontología, Escuela Nacional de Estudios Superiores, Unidad León, Universidad Nacional Autónoma de México.

Autor corresponsal:

Juan Pablo Naoshi Morikawa Yáñez jmorikawa@enes.unam.mx

Esta revisión sistemática analiza críticamente los resultados publicados en los últimos 5 años sobre la calidad de vida y la rehabilitación en pacientes con cáncer de cabeza y cuello. La investigación se enfocó en distintos enfoques rehabilitadores: físicos, manejo del dolor, ocupacionales y psicológicos en pacientes con neoplasias de cabeza y cuello. Estos incluían ejercicios para la mandíbula, ejercicios de deglución, programas nutricionales, ejercicios profilácticos y orofaríngeos, así como rehabilitación vocal en pacientes con laringectomía total. Se evaluó la calidad de vida teniendo en cuenta los cambios anatómicos que experimentan los pacientes con cáncer de cabeza y cuello, así como las diferencias entre los grupos de pacientes que recibieron intervención rehabilitadora y aquellos que no la recibieron. Cada intervención mostró resultados distintos, siendo algunas más efectivas que otras. En algunos estudios no se encontraron diferencias significativas. Los aspectos psicológicos y socioemocionales también desempeñaron un papel importante en la calidad de vida de los pacientes que recibieron la intervención rehabilitadora.

Palabras clave: neoplasias de cabeza y cuello, rehabilitación, calidad de vida.

This systematic review critically analyzes the results published in the last 5 years regarding quality of life and rehabilitation in patients with head and neck cancer. The research focused on identifying different types of rehabilitative approaches, including physical, pain management, occupational, and psychological interventions in patients with head and neck neoplasms. These interventions included jaw exercises, swallowing exercises, nutritional programs, prophylactic and oropharyngeal exercises, and vocal rehabilitation in patients with total laryngectomy. Quality of life was considered due to the anatomical changes experienced by head and neck cancer patients, as well as the differences between groups of patients who received rehabilitative intervention and those who did not. Each intervention showed different results, with some being more effective than others, and some studies found no significant differences. Psychological and socioemotional aspects were also of great importance in the quality of life of patients who received rehabilitative intervention.

Keywords: head and neck neoplasms, rehabilitation, quality of life.

201. Mayo 2025

Calidad y dirección

Evaluación metodológica

GRADE

Se realizó el análisis de calidad de los artículos incluidos, con el modelo Grading of Recommendations, Assessment, Development and Evaluation (GRADE). En el sistema GRADE la calidad de la evidencia se clasifica, inicialmente, en alta o baja, según provenga de estudios experimentales u observacionales; posteriormente, según una serie de consideraciones, la evidencia queda en bajo riesgo o alto riesgo.

Determinando cuáles son las mejores evidencias realizando un análisis crítico y jerarquizado (Tabla 2), basado en la pregunta de investigación PICO.

El diseño de los estudios influyó directamente en la rigurosidad con la que los autores realizaron el proceso de obtención y presentación de datos, por lo que es evidente que existe una variación considerable entre el grado de sesgo de un artículo y otro.

Gráfico de riesgo a sesgo

Se utilizó el Manual Cochrane de revisiones sistemáticas de intervenciones para evaluar la calidad metodológica de los artículos incluidos en esta revisión. Se valoraron de manera individual los 7 criterios que el manual establece y se asignó un código de color para cada criterio. En nuestra revisión se incluyeron 12 ensayos aleatorizados controlados; sin embargo, también se consideraron trabajos que son estudios observacionales. El diseño de los estudios influyó directamente en la rigurosidad con la que los autores realizaron el proceso de obtención y presentación de datos, por lo que es evidente que existe una variación considerable entre el grado de sesgo de un artículo y otro. Al realizar la sumatoria de los puntajes de cada artículo, se obtuvo una calidad general media-favorable en cuanto a la confiabilidad de los procesos involucrados en el desarrollo de los estudios (Figura 3).

Discusión

De los 26 artículos incluidos se obtuvieron diversos criterios o indicadores de calidad de vida; esto varía en función del elemento causante del deterioro y de la intervención realizada en el estudio. En los ensayos clínicos revisados, se aplicaron las siguientes intervenciones:

Terapia de deglución en pacientes con cáncer de laringe y disfagia después de una cirugía; terapia de habla

Revisión sistemática: Calidad de vida en pacientes con cáncer de cabeza y cuello desde la perspectiva integral de la rehabilitación

en pacientes con disfagia después de una laringectomía total; terapia de los músculos de la respiración con ejercicios, manteniendo una frecuencia de 15 a 20 respiraciones/min utilizando la válvula Orygen-Dual®, un dispositivo respiratorio que permite a los pacientes entrenar los músculos inspiratorios y espiratorios simultáneamente; ejercicios de elevación de la cabeza durante 12 meses; rehabilitación nutricional donde las sesiones fueron específicamente dirigidas a controlar los problemas alimentarios, que incluyeron una sesión grupal con un dietista clínico sobre consejos dietéticos, asesoramiento individual con un dietista clínico, un taller práctico de cocina con recetas para llevar a casa, los participantes recibieron un manual de ejercicios y un

diario de entrenamiento y se les animó a continuar haciendo los ejercicios cuando regresaran a casa. Por último, rehabilitación multidisciplinaria (física, psicológica, alimenticia), así como una sesión grupal sobre higiene bucal e instrucción en ejercicios de deglución realizados por un terapeuta ocupacional.

Se logró observar una mejoría en los pacientes que recibieron terapia de deglución para tratar la disfagia como consecuencia de intervención quirúrgica en pacientes con cáncer de laringe, con un grado de satisfacción del paciente favorable, como se vio en el estudio de Hajdú,6 ya que pacientes con disfagia están más fuertemente asociados a tos, náuseas y problemas nutricionales.7

Calidad y dirección

Autor

Davudov, M. M., Harirchi, I., Arabkheradmand, A., Garajei, A., Mahmudzadeh, H., Shirkhoda, M., ... & Montazeri, A. (2019)

Giuliani, M., Papadakos, J., Broadhurst, M., Jones, J., McQuestion, M., Le, L. W., ... & Ringash, J. (2019)

Karlsson, O., Karlsson, T., Pauli, N., Andréll, P., & Finizia, C. (2021)

Chen, S. C., Huang, B. S., Hung, T. M., Lin, C. Y., & Chang, Y. L. (2019)

Jansen, F., Eerenstein, S. E., Cnossen, I. C., Lissenberg-Witte, B. I., de Bree, R., Doornaert, P., ... & Verdonck-de Leeuw, I. M. (2020)

Hajdú SF, Wessel I, Dalton SO, Eskildsen SJ, Johansen C. Swallowing exercise during head and neck cancer treatment: Results of a randomized trial. Dysphagia (2021)

Kenny, C., Regan, J., Balding, L., Higgins, S., O’Leary, N., Kelleher, F., (2022)

Xuewei Z, Minghui L, Minru Z, Qianqian C, Jianfeng W. (2022)

Balbinot J, Real CS, Melo CC de, Dornelles S, Costa SS. (2020)

Samuel SR, Maiya AG, Fernandes DJ, Guddattu V, Saxena PUP, Kurian JR, (2019)

Petersson K, Finizia C, Pauli N, Dotevall H, Tuomi L. (2023)

Kristensen, M. B., Mikkelsen, T. B., Beck, A. M., Zwisler, A. D., Wessel, I., & Dieperink, K. B. (2019)

Johansson, M., Finizia, C., Persson, J., & Tuomi, L. (2020)

Kristensen MB, Wessel I, Beck AM, Dieperink KB, Mikkelsen TB, Møller J-JK. (2020)

Kristensen MB, Wessel I, Beck AM, Dieperink KB, Mikkelsen TB, Møller J-JK. (2020)

Govender R, Smith CH, Barratt H, Gardner B, Taylor SA. (2020)

Douglas J Van Daele, Susan E Langmore, Gintas P Krisciunas, Cathy L Lazarus, Barbara R Pauloski, Timothy M McCulloch, Gary D Gramigna, Barbara P Messing, Cynthia W Wagner, Sarah L Mott (2019)

Caminha, R. D. G., Caldas, R. J., Bueno, I. C. M., Scaraficci, A. C., & da Silva Santos, P. S. (2024)

Jaison Varghese, J., Aithal, V. U., Sharan, K., Maiya, A. G., & (2024)

Guillen-Sola, A., Soler, N. B., Marco, E., Pera-Cegarra, O., & Foro, P. (2019)

Antin, F., Breheret, R., Goineau, A., Capitain, O., & Laccourreye, L. (2021).

Año de publicación 4-5 años= 1 2 -3 años= 2 <2 años= 3

Grupos de intervención no menciona= 0 menciona= 1

Evalúa más de 2 parámetros no= 0 sí= 1

Tipo de estudio ensayo controlado aleatorizado= 3 ensayo clínico= 2 otros= 1

Resultados cuantitativos o cualitativos= 1 ambos= 2

Rehabilitación como parte del estudio no recibe= 0 recibe= 1

Autor

Hortense, F. T. P., Bergerot, C. D., & Domenico, E. B. L. D. (2020)

Clarke, N., Dunne, S., Coffey, L., Sharp, L., Desmond, D., O’Conner, J., ... & Gallagher, P. (2021)

Van den Bosch, L., van der Laan, H. P., van der Schaaf, A., Oosting, S. F., Halmos, G. B., Witjes, M. J., ... & Langendijk, J. A. (2021)

Souza, F. G. R., Santos, I. C., Bergmann, A., Thuler, L. C., Freitas, A. S., Freitas, E. Q., & Dias, F. L. (2020)

Jehn, P., Stier, R., Tavassol, F., Dittmann, J., Zimmerer, R., Gellrich, N. C., ... & Spalthoff, S. (2019)

Asimismo, la combinación de técnicas de acupuntura con la terapia de deglución convencional demostró ser de ayuda para el bienestar de los pacientes también sometidos a cirugía en pacientes con cáncer de laringe.8 La terapia de habla resultó de suma importancia, ya que ayudó a mejorar la calidad de vida, permitiendo que pacientes con cáncer de lengua pudieran comunicarse y mejorar la deglución.9 Implementar ejercicio físico como rutina general cotidiana puede lograr un estado mayor de bienestar y servir en la preservación de calidad de vida y funcionalidad en pacientes de estadio 3 y 4, como se observó en el estudio realizado por Rajan Samuel.10

Año de publicación 4-5 años= 1 2 -3 años= 2 <2 años= 3

Grupos de intervención no menciona= 0 menciona= 1

Evalúa más de 2 parámetros no= 0 sí= 1

Tipo de estudio ensayo controlado aleatorizado= 3 ensayo clínico= 2 otros= 1

Por otro lado, los ejercicios físicos de elevación de la cabeza para tratar la disfagia no lograron demostrar eficacia ni a corto ni a largo plazo.11

Los sobrevivientes de cáncer de cabeza y cuello encontraron que el programa de rehabilitación residencial multidisciplinario, centrado principalmente en los aspectos físicos, psicológicos y sociales de los problemas alimentarios, era beneficioso para satisfacer sus necesidades de rehabilitación. Este fue un esfuerzo coordinado que involucró a varios especialistas, entre ellos clínicos, dietistas, enfermeras, fisioterapeutas, psicólogos y profesionales sociales, un enfoque integral para la rehabilitación en sobrevivientes con

Resultados cuantitativos o cualitativos= 1 ambos= 2

Rehabilitación como parte del estudio no recibe= 0 recibe= 1

Los sobrevivientes de cáncer de cabeza y cuello encontraron que el programa de rehabilitación residencial multidisciplinario, centrado principalmente en los aspectos físicos, psicológicos y sociales de los problemas alimentarios, era beneficioso para satisfacer sus necesidades de rehabilitación.

Total

Tabla 2. Análisis de calidad de artículos incluidos.

Calidad y dirección

Autor y año de publicación

Davudov, M. M., Harirchi, I., Arabkheradmand, A., Garajei, A., Mahmudzadeh, H., Shirkhoda, M., ... & Montazeri, A. (2019)

Giuliani, M., Papadakos, J., Broadhurst, M., Jones, J., McQuestion, M., Le, L. W., ... & Ringash, J. (2019)

Karlsson, O., Karlsson, T., Pauli, N., Andréll, P., & Finizia, C. (2021)

Chen, S. C., Huang, B. S., Hung, T. M., Lin, C. Y., & Chang, Y. L. (2019)

Jansen, F., Eerenstein, S. E., Cnossen, I. C., Lissenberg-Witte, B. I., de Bree, R., Doornaert, P., ... & Verdonck-de Leeuw, I. M. (2020)

Hajdú SF, Wessel I, Dalton SO, Eskildsen SJ, Johansen C. Swallowing exercise during head and neck cancer treatment:

Results of a randomized trial. Dysphagia (2021)

Diseño de estudio

Estudio transversal

Estudio observacional transversal

Estudio prospectivo

Estudio transversal

Estudio prospectivo

Ensayo controlado aleatorizado

Kenny, C., Regan, J., Balding, L., Higgins, S., O’Leary, N., Kelleher, F., (2022) Artículo informativo

Xuewei Z, Minghui L, Minru Z, Qianqian C, Jianfeng W. (2022) Ensayo clínico aleatorizado controlado

Balbinot J, Real CS, Melo CC de, Dornelles S, Costa SS. (2020)

Samuel SR, Maiya AG, Fernandes DJ, Guddattu V, Saxena PUP, Kurian JR, (2019)

Ensayo clínico aleatorizado controlado

Ensayo controlado aleatorizado

Petersson K, Finizia C, Pauli N, Dotevall H, Tuomi L. (2023) Ensayo controlado aleatorizado

Kristensen, M. B., Mikkelsen, T. B., Beck, A. M., Zwisler, A. D., Wessel, I., & Dieperink, K. B. (2019)

Ensayo controlado aleatorizado

Johansson, M., Finizia, C., Persson, J., & Tuomi, L. (2020) Estudio de cohorte aleatorizado y controlado

Figura 3. Evaluación de riesgo de sesgo en estudios individuales.

Bajo riesgo-no predecible:

Algo riesgo-predecible:

Riesgo de sesgo incierto:

Generación de secuencia aleatoria

Ocultació de la asignación

cáncer de cabeza y cuello, ayudando a mejorar la calidad de vida en comparación con personas sin enfoques rehabilitadores. El programa consistió en sesiones grupales con educación del paciente y algunas actividades individuales. Sesiones y actividades relacionadas con el bienestar físico y psicológico resultaron ser favorables en los participantes.12

Realizando la comparativa entre las diferentes intervenciones, se pudo observar que el impacto en la calidad de vida ha sido positivo, principalmente debido al alivio de la sintomatología

Cegamiento de los participantes y personal

Datos de resultado incompleto

Rehabilitación como parte del estudio no recibe= 0 recibe= 1

Notificación selectiva de resultados

y la mejoría en las limitaciones que causan secuelas como la disfagia, pero también gracias a que las terapias de rehabilitación, independientemente de cuál se trate, parecen fungir como un elemento de apoyo para la situación psicológica, personal, familiar e incluso económica en la que los pacientes se encuentran. Como queda demostrado en el estudio realizado por Johansson,13 la terapia rehabilitadora no solo es capaz de favorecer directamente la salud, sino también la adaptación social y los gastos a largo plazo que la persona sobreviviente al cáncer debe absorber en el día a día.

Revisión sistemática: Calidad de vida en pacientes con cáncer de cabeza y cuello desde la perspectiva integral de la rehabilitación

Autor y año de publicación

Kristensen MB, Wessel I, Beck AM, Dieperink KB, Mikkelsen TB, Møller J-JK. (2020)

Kristensen MB, Wessel I, Beck AM, Dieperink KB, Mikkelsen TB, Møller J-JK. (2020)

Diseño de estudio

Estudio cualitativo

Ensayo aleatorizado controlado

Govender R, Smith CH, Barratt H, Gardner B, Taylor SA. (2020) Ensayo de factibilidad aleatorizado controlado no-ciego

Douglas J Van Daele, Susan E Langmore, Gintas P Krisciunas, Cathy L Lazarus, Barbara R Pauloski, Timothy M McCulloch, Gary D Gramigna, Barbara P Messing, Cynthia W Wagner, Sarah L Mott (2019)

Caminha, R. D. G., Caldas, R. J., Bueno, I. C. M., Scaraficci, A. C., & da Silva Santos, P. S. (2024)

Ensayo aleatorizado controlado

Estudio observacional prospectivo

Jaison Varghese, J., Aithal, V. U., Sharan, K., Maiya, A. G., & (2024) Estudio observacional transversal

Guillen-Sola, A., Soler, N. B., Marco, E., Pera-Cegarra, O., & Foro, P. (2019)

Antin, F., Breheret, R., Goineau, A., Capitain, O., & Laccourreye, L. (2021).

Hortense, F. T. P., Bergerot, C. D., & Domenico, E. B. L. D. (2020)

Clarke, N., Dunne, S., Coffey, L., Sharp, L., Desmond, D., O’Conner, J., ... & Gallagher, P. (2021)

Van den Bosch, L., van der Laan, H. P., van der Schaaf, A., Oosting, S. F., Halmos, G. B., Witjes, M. J., ... & Langendijk, J. A. (2021)

Souza, F. G. R., Santos, I. C., Bergmann, A., Thuler, L. C., Freitas, A. S., Freitas, E. Q., & Dias, F. L. (2020)

Jehn, P., Stier, R., Tavassol, F., Dittmann, J., Zimmerer, R., Gellrich, N. C., ... & Spalthoff, S. (2019)

Conclusiones

La rehabilitación en pacientes con cáncer de cabeza y cuello depende de varios factores, como el tipo de neoplasia, el estadio de la enfermedad, la función afectada y/o los aspectos personales de la vida diaria que se ven deteriorados, ya sea durante el curso de la enfermedad o tras el tratamiento. En términos generales, la calidad de vida se ve mejorada tanto física como psicológicamente en los pacientes cuando se implementa algún tipo de terapia de rehabilitación, al haber sido tratado el cáncer previamente, y el éxito

Ensayo clínico aleatorizado

Estudio observacional prospectivo

Estudio experimental aleatorizado controlado

Encuesta basada en población

Estudio observacional prospectivo

Estudio observacional transversal

Estudio retrospectivo

Generación de secuencia aleatoria

Ocultació de la asignación

de esta terapia se ve influenciado por factores internos y externos al paciente. Es de vital importancia que la educación sanitaria se proporcione tanto a los pacientes como a la población en general, ya que el papel que desempeña la rehabilitación en las enfermedades neoplásicas de cabeza y cuello puede significar el primer paso hacia una manera más digna y llevadera de vivir para quienes lo padecen.

Declaración de conflicto de intereses: los autores declaran no tener conflictos de interés en competencia.

Cegamiento de los participantes y personal

Datos de resultado incompleto

Rehabilitación como parte del estudio no recibe= 0 recibe= 1

Bajo riesgo-no predecible: Algo riesgo-predecible: Riesgo de sesgo incierto:

Notificación selectiva de resultados

Referencias

1. Davudov MM, Harirchi I, Arabkheradmand A, Garajei A, Mahmudzadeh H, Shirkhoda M, et al. Evaluation of quality of life in patients with oral cancer after mandibular resection. Medicine 2019;98:e17431. https://doi.org/10.1097/md.0000000000017431.

2. Giuliani M, Papadakos J, Broadhurst M, Jones J, McQuestion M, Le LW, et al. The prevalence and determinants of return to work in head and neck cancer survivors. Support Care Cancer 2019;27:539–46. https://doi.org/10.1007/s00520-018-4343-6.

3. Karlsson O, Karlsson T, Pauli N, Andréll P, Finizia C. Jaw exercise therapy for the treatment of trismus in head and neck Cancer: a prospective three-year follow-up study. Support Care Cancer 2021;29:3793–800. https://doi.org/10.1007/s00520-020-05517-7.

4. Chen S-C, Huang B-S, Hung T-M, Lin C-Y, Chang Y-L. Impact of physical and psychosocial dysfunction on return to work in survivors of oral cavity cancer. Psychooncology 2019;28:1910–7. https://doi.org/10.1002/pon.5173.

5. Jansen F, Eerenstein SEJ, Cnossen IC, Lissenberg-Witte BI, de Bree R, Doornaert P, et al. Effectiveness of a guided self-help exercise program tailored to patients treated with total laryngectomy: Results of a multi-center randomized controlled trial. Oral Oncol 2020;103:104586. https://doi.org/10.1016/j.oraloncology.2020.104586.

6. Hajdú SF, Wessel I, Dalton SO, Eskildsen SJ, Johansen C. Swallowing exercise during head and neck cancer treatment: Results of a randomized trial. Dysphagia 2021;37:749–62. https://doi. org/10.1007/s00455-021-10320-5. I’ll

7. Kenny C, Regan J, Balding L, Higgins S, O’Leary N, Kelleher F, et al. Dysphagia in solid tumors outside the head, neck or upper GI tract: Clinical characteristics. J Pain Symptom Manage 2022;64:546–54. https://doi.org/10.1016/j.jpainsymman.2022.08.019.

8. Xuewei Z, Minghui L, Minru Z, Qianqian C, Jianfeng W. Effect of three tongue needles acupoints Lianquan (CV23) and Hegu (LI4) combined with swallowing training on the quality of life of laryngeal cancer patients with dysphagia after surgery. J Tradit Chin Med 2022;42:617–21. https://doi.org/10.19852/j.cnki.jtcm.20220516.004.

9. Balbinot J, Real CS, Melo CC de, Dornelles S, Costa SS da. Quality of life in tongue cancer treated patients before and after speech therapy: a randomized clinical trial. Braz J Otorhinolaryngol 2020;88:491–6. https://doi.org/10.1016/j.bjorl.2020.10.005.

Revisión sistemática: Calidad de vida en pacientes con cáncer de cabeza y cuello desde la perspectiva integral de la rehabilitación

10. Samuel SR, Maiya AG, Fernandes DJ, Guddattu V, Saxena PUP, Kurian JR, et al. Effectiveness of exercise-based rehabilitation on functional capacity and quality of life in head and neck cancer patients receiving chemo-radiotherapy. Support Care Cancer 2019;27:3913–20. https://doi. org/10.1007/s00520-019-04750-z.

11. Petersson K, Finizia C, Pauli N, Dotevall H, Tuomi L. A randomized controlled study evaluating the head-lift exercise in head and neck cancer patients with radiation-induced dysphagia: effect on swallowing function and health-related quality of life over 12 months. Eur Arch Otorhinolaryngol 2023;280:5445–57. https://doi.org/10.1007/s00405-023-08183-7.

12. Kristensen MB, Mikkelsen TB, Beck AM, Zwisler A-D, Wessel I, Dieperink KB. To eat is to practice—managing eating problems after head and neck cancer. J Cancer Surviv 2019;13:792–803. https://doi.org/10.1007/s11764-019-00798-2.

13. Johansson M, Finizia C, Persson J, Tuomi L. Cost-effectiveness analysis of voice rehabilitation for patients with laryngeal cancer: a randomized controlled study. Support Care Cancer 2020;28:5203–11. https://doi.org/10.1007/s00520-020-05362-8.

14. Kristensen MB, Wessel I, Beck AM, Dieperink KB, Mikkelsen TB, Møller J-JK, et al. Effects of a multidisciplinary residential nutritional rehabilitation program in head and neck cancer survivors-results from the NUTRI-HAB randomized controlled trial. Nutrients 2020;12. https:// doi.org/10.3390/nu12072117.

15. Kristensen MB, Wessel I, Beck AM, Dieperink KB, Mikkelsen TB, Møller J-JK, et al. Rationale and design of a randomised controlled trial investigating the effect of multidisciplinary nutritional rehabilitation for patients treated for head and neck cancer (the NUTRI-HAB trial). Nutr J 2020;19:21. https://doi.org/10.1186/s12937-020-00539-7.

16. Govender R, Smith CH, Barratt H, Gardner B, Taylor SA. SIP SMART: a parallel group randomised feasibility trial of a tailored pre-treatment swallowing intervention package compared with usual care for patients with head and neck cancer. BMC Cancer 2020;20:360. https://doi. org/10.1186/s12885-020-06877-3.

17. Van Daele DJ, Langmore SE, Krisciunas GP, Lazarus CL, Pauloski BR, McCulloch TM, et al. The impact of time after radiation treatment on dysphagia in patients with head and neck cancer enrolled in a swallowing therapy program. Head Neck 2019;41:606–14. https://doi. org/10.1002/hed.25344.

18. Caminha RDG, Caldas RJ, Bueno ICM, Scaraficci AC, da Silva Santos PS. A time frame evaluation of the oral health-related quality of life among patients with head and neck cancer. Oral Oncology Reports 2024;11:100593. https://doi.org/10.1016/j.oor.2024.100593.

Calidad y dirección

19. Jaison Varghese J, Aithal VU, Sharan K, Maiya AG, Rajashekhar B. Profiling of swallowing function in head and neck cancer patients prior to radiation therapy-Findings from a tertiary hospital in South India. Prev Med Rep 2024;41:102713. https://doi.org/10.1016/j.pmedr.2024.102713.

20. Guillen-Sola A, Soler NB, Marco E, Pera-Cegarra O, Foro P. Effects of prophylactic swallowing exercises on dysphagia and quality of life in patients with head and neck cancer receiving (chemo) radiotherapy: the Redyor study, a protocol for a randomized clinical trial. Trials 2019;20. https://doi.org/10.1186/s13063-019-3587-x.

21. Antin F, Breheret R, Goineau A, Capitain O, Laccourreye L. Rehabilitation following total laryngectomy: Oncologic, functional, socio-occupational and psychological aspects. Eur Ann Otorhinolaryngol He in ad Neck Dis 2021;138:19–22. https://doi.org/10.1016/j.anorl.2020.06.006.

22. Hortense FTP, Bergerot CD, Domenico EBLD. Quality of life, anxiety and depression in head and neck cancer patients: a randomized clinical trial. Rev Esc Enferm USP 2020;54:e03546. https://doi.org/10.1590/s1980-220x2018040103546.

23. Clarke N, Dunne S, Coffey L, Sharp L, Desmond D, O’Conner J, et al. Health literacy impacts self-management, quality of life and fear of recurrence in head and neck cancer survivors. J Cancer Surviv 2021;15:855–65. https://doi.org/10.1007/s11764-020-00978-5.

24. Van den Bosch L, van der Laan HP, van der Schaaf A, Oosting SF, Halmos GB, Witjes MJH, et al. Patient-reported toxicity and quality-of-life profiles in patients with head and neck cancer treated with definitive radiation therapy or chemoradiation. Int J Radiat Oncol Biol Phys 2021;111:456–67. https://doi.org/10.1016/j.ijrobp.2021.05.114.

25. Souza FGR, Santos IC, Bergmann A, Thuler LCS, Freitas AS, Freitas EQ, et al. Quality of life after total laryngectomy: impact of different vocal rehabilitation methods in a middle income country. Health Qual Life Outcomes 2020;18. https://doi.org/10.1186/s12955-020-1281-z.

26. Jehn P, Stier R, Tavassol F, Dittmann J, Zimmerer R, Gellrich N-C, et al. Physical and psychological impairments associated with mucositis after oral cancer treatment and their impact on quality of life. Oncol Res Treat 2019;42:342–9. https://doi.org/10.1159/000499720.

Mucho cuidado con los equipos de rayos X intraorales portátiles

¿Está justificada esta advertencia?

En Dentista y Paciente queremos que los odontólogos conozcan el riesgo que implica el uso indebido de fuentes de radiación ionizante.

Los equipos portátiles están diseñados para llevar a cabo una exposición con el operador sujetando el equipo con ambas manos, y debido a la imposibilidad de alejarse del mismo a la distancia reglamentada, el operador se encontrará expuesto a una dosis de radiación ionizante 11 veces mayor, en el mejor de los casos.

Estamos consientes de que la mayoría de los odontólogos ignoran los riesgos que implica el uso de fuentes de radiación, los cuales aumentan con la frecuencia y dosis de la misma, es por eso que nuestro deber nos llama a advertir al odontólogo para prevenir antes que lamentar.

En la literatura sobre la seguridad radiológica con equipos intraorales portátiles, hemos observado un creciente número de opiniones negativas sobre el uso de equipos diseñados para que el operador sujete el equipo con sus manos para poder realizar una toma radiográfica periapical.

Esto implica que, al utilizarse el equipo portátil en el consultorio dental, el odontólogo tendría en sus manos la fuente generadora de radiación, lo cual no estaba contemplado en la Norma Reguladora de Seguridad Radiológica NOM-229-SSA1-2002 (https://www. gob.mx/cms/uploads/attachment/ file/839898/IB_NOM229_Infografia_24-03-2023_light.pdf). Dicha norma excluyó de su campo de aplicación los equipos de rayos X convencionales, y que consideraba que los equipos de rayos X periapicales fijos tradicionales no representarían mayores riesgos sanitarios al ser utilizados conforme a los protocolos de seguridad sugeridos por ALARA, ICRP y otras instituciones, mismas que recomiendan mantener una distancia mínima de 2 metros entre el operador y la fuente generadora de rayos X, al efectuar el disparo mediante un disparador con cable retráctil, o con la opción de instalar un disparador remoto fuera del cuarto radiográfico.

Muchos odontólogos ignoran o subestiman los daños de tipos determinísticos o estocásticos, que son los causantes de provocar alteraciones cromosómicas a la célula, esto debido al uso indebido de fuentes generadoras de radiación

Mucho cuidado con los equipos de rayos X intraorales portátiles

ionizante, pues aquellos que no lo saben suelen considerar al equipo portátil un avance tecnológico, cuando en realidad estos productos fueron diseñados para otras aplicaciones, al considerar que en sus países de origen su uso en el consultorio dental está restringido por normas de seguridad radiológica, debido a la imposibilidad para el operador de alejarse de la fuente de radiación, exponiéndose así a una dosis de radiación ionizante, por radiación dispersa y de fuga, mucho mayor de la que recibiría con un equipo fijo tradicional, al aplicar los protocolos antes mencionados.

LReferencias

1. Raggi X in Medicina-Fisica- Tecnica-Applicazioni. Ed. GILARDONI S.p.A. 2.1.4.

2. ODOVTOS – Actualización en equipos de Rayos X portátiles en odontología. Lucía Barba Ramírez DDS, Deivi Cascante Sequeira DDS. Publicado en línea : 15-II-2021. Recuperado de: https://www.scielo.sa.cr/pdf/odovtos/ v24n2/2215-3411-odovtos- 24-02-26.pdf

3. Revisión de las principales normas de protección radiológica para el uso de equipos de Rayos-X en odontología. Recuperado de: https://revistas.cientifica. edu.pe/index.php/odontologica/article/download/538/6 19/

4. Guidance for Industry and FDA Staff: Radiation Safety Considerations for X-RAY Equipments Designed for Hand-Held Use. U.S. Department of Health and Human Services. Center for Devices and Radiological Health (CDRH). Recuperado de: https://www.fda.gov/media/73890/download

5. Justification and good practice in using handled portable dental X-RAY equipments. Academy of Dentomaxilofacial Radiology (EADMFR), (2015) 44, 20140343. Published by the British Institute of Radiology. Recuperado de: https:// www.ncbi.nlm.nih.gov/pmc/articles/PMC4628399/pdf/dmfr.20140343.pdf

os equipos Portátiles están diseñados para llevar a cabo una exposición con el operador sujetando equipo con ambas manos, y debido a la imposibilidad de alejarse del equipo a la distancia reglamentaria, el operador se encontrará expuesto a una dosis de radiación ionizante nueve veces mayor, este el mejor de los casos.

Los Odontólogos, en su mayoría, ignoran los riesgos que implica el uso de fuentes de radiación, cuales aumentan con la frecuencia y dosis de la misma, por lo tanto el operador del equipo portátil es el que está expuesto a un mayor riesgo.

BIBLIOGRAFÍA: https://www.medigraphic.com/pdfs/odovtos/ijd-2022/ijd222d.pdf

201. Mayo 2025 23 2025

Análisis de la experiencia de los adultos mayores: ¿cómo perciben la calidad del servicio en los consultorios dentales? Parte 2

Análisis de la experiencia de los adultos mayores

Dra. Mary Carmen Ramírez Tejeda es egresada de la licenciatura en Cirujano Dentista y de la Maestría en Dirección y Mercadotecnia de la Universidad Popular Autónoma del Estado de Puebla. Cuenta con más de 5 años de experiencia como docente de licenciatura y posgrado. Su área de interés se enfoca en el estudio del Health Marketing

Este artículo explora las percepciones de los adultos mayores sobre la calidad de atención recibida en consultorios dentales. Para ello, se utilizó una metodología inductiva exploratoria con un enfoque cualitativo, en México. Los resultados indicaron que, si bien los elementos físicos del consultorio (como la modernidad o lujo) son considerados poco relevantes, la limpieza de las instalaciones es un aspecto altamente valorado. Además, la seguridad, cercanía y empatía del odontólogo, fueron identificados como factores cruciales para la fidelización a largo plazo de los pacientes. Un hallazgo importante fue la percepción negativa sobre la fiabilidad en la atención dental, debido a la falta de procedimientos como la firma de consentimientos informados y la toma de signos vitales.

Esta investigación contribuye a mejorar la comprensión sobre la calidad de los servicios odontológicos y promueve el acceso a una atención de salud dental de calidad.

Palabras clave: adultos mayores, calidad de servicio, mercadotecnia sanitaria, consultorios dentales, percepción, seguridad, cercanía, fidelización, fiabilidad, salud dental

201. Mayo 2025

Código Edad

Profesión Género Estatus profesional

E1 74 Ama de casa Femenino Activo

E2 75 Contador Masculino Retirado

E3 96 Ingeniero Masculino Retirado

E4 74 Ingeniero Masculino Retirado

E5 64 Pediatra Femenino Retirado

E6 64 Empresario Masculino Activo

E7 73 Enfermera Femenino Retirado

E8 78 Carpintero Masculino Retirado

E9 86 Médico Femenino Retirado

E10 67 Ginecóloga Femenino Activo

E11 62 Geriatra Femenino Activo

E12 72 Ingeniero Masculino Activo

E13 71 Enfermera Femenino Retirado

E14 80 Ama de casa Femenino Activo

E15 69 Psicóloga Femenino Activo

E16 70 Empresario Masculino Activo

E17 60 Empresario Masculino Activo

E18 60 Arquitecto Masculino Activo

E19 92 Prestamista Masculino Retirado

E20 75 Ama de casa Femenino Activo

E21 63 Veterinario Masculino Activo

E22 71 Profesor Masculino Retirado

E23 77 Abogado Masculino Retirado

E24 64 Mecánico Masculino Activo

E25 88 Chofer Masculino Retirado

E26 68 Contador Femenino Activo

E27 72 Enfermera Femenino Retirado

E28 65 Profesora Femenino Retirado

E29 72 Empresaria Femenino Retirado

E30 91 Telefonista Femenino Retirado

Tabla 1. Relación con los códigos y características de los entrevistados.

Material y métodos

2.1 Diseño

Se adaptó una metodología inductiva exploratoria para analizar las experiencias de los adultos mayores sobre la calidad de servicio percibida en los consultorios dentales. El estudio se llevó a cabo en México, y buscó llenar el vacío existente con respecto a la escasez de investigación relacionada con la calidad de los servicios de atención de salud oral para adultos mayores (Miura, s.f.a). De esta forma se invitó a participar a una muestra no representativa y se estableció el enfoque cualitativo, dado que recientemente se ha explorado que aplicar dicho método, impacta de manera positiva en la comprensión de la calidad de servicio y la falla en el servicio, ya que ambos tópicos se han estancado debido al determinismo cuantitativo a través del cual se han analizado (Valtakoski, 2020).

2.2 Participantes

De tal modo, el método que se utilizó para admitir a los adultos mayores que han acudido a servicios dentales en consultorios privados de México por más de un año, un año como mínimo, fue de muestreo no probabilístico siendo por juicio del investigador, en tal sentido los participantes de esta investigación fueron 30 adultos mayores, hombres y mujeres teniendo en cuenta un balance de género, de 60 años y más (Tabla 1), rigiendo este parámetro de edad, por el último

informe de la Organización Mundial de la Salud (2024).

2.3 Instrumento y procedimiento

Asimismo, los datos se recopilaron siguiendo un formato de entrevista semiestructurada, la guía de entrevista incluía preguntas abiertas permitiendo de esta forma un nivel adecuado para comparar entrevistas entre sí, así como una narrativa sin obstrucciones. Dicha guía resultó de 3 entrevistas piloto, realizadas de manera previa al avance del trabajo de campo. Las entrevistas se realizaron de manera individual y presencial, de manera que fuera posible el captar las emociones, sensaciones y respuestas objetivas de esta población. El trabajo de campo se llevó a cabo de octubre de 2021 a enero de 2022. Las entrevistas tuvieron una duración entre 32 y 80 minutos (promedio de 38 minutos) y fueron grabadas con el consentimiento previo de los participantes, para posteriormente ser transcritas para su análisis.

2.4 Análisis de datos

La siguiente etapa fue el análisis de datos la cual se enfocó en un método iterativo, de tal forma, se alternan lecturas emergentes de los datos y la utilización ética de modelos, teorías y explicaciones existentes (Tracy, 2013). Este enfoque da pauta a un proceso reflexivo por parte del investigador, que le permite aterrizar los datos y enlazarlos con conocimientos y herramientas existentes para clarificar los insights obtenidos (Srivastava

y Hopwood, 2009; Tracy, 2013). Se resalta que las citas se tradujeron y se revisaron a conciencia por varias personas para que permanecieran fidedignas a la cita original. En la Tabla 2 se presenta la codificación de categorías y análisis de datos empíricos.

Desarrollo de los temas a través de la codificación.

Análisis de resultados

Se entrevistó a 15 mujeres y 15 hombres, el rango de edad de los participantes fue entre 60 y 96 años, con una mediana de 72 años. Todos los participantes habían acudido a un consultorio dental privado, por más de un año, tomando como referencia un año como mínimo. Existieron entrevistados sin educación formal, con conocimientos de oficios y otros con profesiones, asimismo, expresaron el estatus profesional en el que se encontraban, ya sea activo o jubilado (Tabla 1). Después de las 30 entrevistas no se encontraron nuevas percepciones y la recolección de datos se consideró saturada.

Durante el análisis de entrevistas surgieron 14 temas, estos temas se asignaron en 5 categorías: elementos físicos de la clínica dental, credibilidad del paciente al dentista, prontitud del odontólogo para atender necesidades del paciente, seguridad que transmite el odontólogo y comprensión y cercanía del odontólogo hacia su paciente. Las categorías, subcategorías y unidades de significado identificadas en la investigación, se muestran en la Tabla 2.

de la experiencia de los adultos mayores

Análisis

Enciclopedia odontológica

Nivel 2 Nivel 1

Elementos físicos de la clínica dental

Credibilidad del paciente al dentista

Prontitud del odontólogo para atender necesidades del paciente

Seguridad que transmite el odontólogo

Comprensión y cercanía del odontólogo hacia su paciente

Percepción basada en experiencias

Tabla 2. Desarrollo de los temas a través de la codificación.

Nivel 3 Palabras clave

Presentación del dentista

Promesas sobre el tiempo del tratamiento

Interés de solución ante padecimientos dentales

Expediente clínico

Disponibilidad del odontólogo

Disposición para brindar atención al paciente

Confianza hacia el dentista

Instalaciones mobiliarias del consultorio nula atención al mobiliario; limpio; zona limpia, aroma a limpio; orden; pulcritud; doctor moderno; doctor joven; doctor presentable; doctor pulcro; incumplimiento de tiempo de entrega de aparatos removibles (plaquitas); culpa al laboratorio por la demora; dentista muestra interés; dentista busca soluciones; sin historia clínica; preocupación por no tener expediente clínico; nulas firmas de consentimientos informados; importancia de la historia clínica; horarios prudentes; nula atención inmediata a urgencias; intención de atención; confianza; competente; profesional; gran experiencia; respeto; trato cordial; amabilidad; atención esmerada; tacto; brinda seguridad; conocimientos técnicos; diplomas; empatía del dentista; paciencia; profesa valores; procurar gustos de los pacientes; atención personalizada; preocupación por comodidad; compresión de necesidades de adultos mayores

Trato digno por parte den odontólogo

Conocimiento profesional del dentista

Atención personalizada para el paciente

Comprensión por parte del odontólogo sobre las necesidades del paciente

Horarios de trabajo convenientes para el paciente

Percepción

Elementos físicos de la clínica dental

Instalaciones mobiliarias de la clínica dental.

Los participantes mencionaron de manera reiterada que el mobiliario de las instalaciones no fue un aspecto en el que centraban su atención, considerándolo un factor secundario al momento de decidir qué oficina dental elegirían para su atención oral. Asimismo, se destacó una idea común entre la mayoría de los participantes: las instalaciones no necesitan ser lujosas para determinar la calidad del servicio. En efecto, la percepción de los adultos mayores sobre la estética

del entorno se menciona como un aspecto complementario, sugiriendo la importancia de otros elementos significativos en la valoración de la calidad del servicio (Pham, et al., 2020).

“Entras y tiene una sala de espera y donde te atiende, pero no me he fijado cómo son los muebles, sinceramente te lo digo, el lujo de las cosas y lugares no importa, no es que sea payasa, pero honestamente es en lo que menos me fijo, eso no es de relevancia para mí” (E5., 2021).

“Podrán tener una clínica lujosa, porque así te la vende, todo muy wow, pero servicio pésimo, hacen muy mal las cosas y sorprende, porque están en la mejor zona de Puebla y esperas

un excelente servicio y no fue así, ese lujo no es importante, fue lamentable lo que me hicieron, me sentí engañada” (E1., 2021).

“Un sillón dental, nada del otro mundo, aunque sea antiguo o moderno es un sillón, él no hace el trabajo, es solo un medio, aparte yo ya soy muy viejo y no por eso, no funciono o dejo de hacer las cosas bien, a mis 96 años sigo practicando tenis” (E3., 2021).

En este sentido, para los adultos mayores, un aspecto de particular relevancia fue la percepción de la limpieza del entorno, el cual se destacó repetidamente en las respuestas de todos los entrevistados. Los participantes indicaron que, además de observar visualmente la limpieza de las instalaciones, también empleaban el sentido del olfato para evaluar y confirmar la sensación de higiene en las instalaciones. Esto es similar a Akdere y Tekingündüz (2020), encontrando que los pacientes priorizan la limpieza del lugar y se destaca como un factor clave para percibir la calidad en hospitales, clínicas o consultorios, considerando otros aspectos físicos de menor importancia (Liang et al., 2021).

“El consultorio de mi dentista es súper limpio, entras y hasta huele diferente a la calle, mi dentista es muy ordenada, todo quiere que salga a la perfección” (E21., 2022).

“Se percibe un aroma a limpieza, en el sanitario pone papel para secarse las

manos, no toalla, las instalaciones tienen un aspecto muy pulcro” (E26., 2022).

“Toda mi vida trabajé en las fuerzas militares para preparación de estudiantes de enfermería, la limpieza es parte de mi día a día, mi dentista no tiene preparación militar, pero es la mujer más ordenada que conozco y su orden se refleja en lo pulcro de las instalaciones” (E7., 2021).

Presentación del dentista

Por último, en cuanto a los elementos físicos de la clínica dental, los comentarios de los participantes mostraron opiniones divididas sobre la percepción de la presentación del dentista. La mayoría se ubicó en un punto intermedio: para algunos, este aspecto no tiene relevancia, pasando incluso desapercibido y no lo consideran determinante para evaluar la calidad del servicio. Sin embargo, para otros adultos mayores, la presentación del dentista sí es un factor importante al valorar la consulta. Esta ambigüedad es también señalada por Crutzen y Adam (2022), quienes encontraron que, aunque los pacientes prefieren las batas blancas por su asociación con el entorno sanitario, perciben a los profesionales con esta vestimenta como menos amigables y accesibles.

"La apariencia de una persona es muy diferente al trato, mi dentista es muy joven y puede andar muy pachón y todo, pero ya es un doctor y son atentos, su apariencia para mí es normal,

nada extraordinario, no es importante para mí" (E3., 2021).

“Nunca me he fijado a detalle, trae su batita blanca y no es que sea distraída, es que no es una cuestión importante para mí, yo me fijo en otras cosas, actualmente hasta doctores tatuados hay y yo soy muy moderna, pueden vestirse como quieran, no es algo que yo valore” (E15., 2022).

“Es muy pulcro, se ve de 40, hace mucho deporte y se ve muy joven, usa pantalón de vestir, zapatos bien boleados, camisas slim fit y una bata, es un tipazo, excelente trato” (E2., 2021).

“Siempre muy presentable, bien peinadito, usa guayaberas blancas o las cosas que se ponen los dentistas, zapatos de vestir bien lustrados, bien perfumadito, y tiene todos sus dientes, es contemporáneo a mí, nos entendemos bien” (E1., 2021).

Credibilidad del paciente al dentista

Promesas sobre el tiempo del tratamiento.

Los adultos mayores expresan diversas preocupaciones relacionadas con la credibilidad que tienen en los profesionales de la salud bucal. Según las experiencias compartidas durante las entrevistas, la mayoría de ellos considera que el odontólogo no cumple con los tiempos prometidos para la entrega de los tratamientos. En particular, los trabajos mencionados por

Análisis de la experiencia de los adultos mayores

los adultos mayores son dispositivos especializados que no se pueden entregar de inmediato, ya que requieren la intervención de terceros para su fabricación. Este retraso, causado por fallas en las entregas del proveedor del dentista, genera una situación recurrente: el odontólogo culpa al laboratorio y solicita a los pacientes regresar en otra ocasión. Esta situación resulta incómoda para los pacientes, ya que no se les informa sobre los retrasos ni antes de la cita ni al llegar, sino hasta que el profesional finaliza el tratamiento de otro paciente y les comunica el inconveniente. Este problema, que enfrentan los dentistas con los laboratorios dentales, se debe a la falta de integración de tecnologías digitales, lo que dificulta la comunicación y coordinación en restauraciones complejas. La implementación adecuada de estas herramientas podría mejorar significativamente la eficiencia y precisión en estos procesos (Rekow, 2020). Sin embargo, en países en desarrollo como los de América Latina, uno de los principales retos es la adaptación de herramientas digitales en la odontología (Tasayco y Condor, 2023).

“Lo malo de mi doctor es que no cumple cuando me ha hecho mis plaquitas, siempre me trae a la vuelta, dice que el laboratorio no le ha llevado mi trabajo y con lo retirado que me queda, no me gusta que no me avise, mínimo podría hacerme una llamada” (E4., 2021).

“Mi dentista cumple cuando son cosas sencillas, que puede solucionar al

momento, pero cuando me mató el nervio y tenía que ponerme una corona, fue un cuete, primero que no le habían llevado mi trabajo y así se la pasaba echando la culpa al laboratorio y después que no me quedaba la condenada corona, al final quedó, pero sí es una lata cuando es más complicado” (E17., 2022).

Interés de solución ante padecimientos dentales

Por el contrario, este aspecto fue valorado de manera positiva por los adultos mayores, siendo la única área de estudio de esta sección que cumplió favorablemente con las percepciones de la mayoría de los adultos mayores. Esto se debe a que el interés demostrado por los dentistas hacia las problemáticas dentales específicas de los adultos mayores les brinda tranquilidad, lo que los motiva a seguir acudiendo a los consultorios odontológicos. Por ello, los adultos mayores en realidad valoran este aspecto aún más, este grupo tiende a demandar una atención más personalizada y aprecia el interés demostrado por los profesionales, lo cual

ha sido demostrado como un factor clave para gestionar y mitigar la soledad en este segmento de la población (Pham, et al., 2020).

“Mi dentista muestra 100 por ciento de interés en arreglarme los problemas que llevo, yo me siento en buenas manos, me da tranquilidad, tan es así que me explica hasta qué pasta tengo que usar o luego me marca para saber cómo sigo” (E6., 2021).

“Mi doctor se interesa totalmente en darme solución, me da calma porque cualquier cosa que me pase, sé que lo arreglará, aunque luego se equivoque, pues lo corrige, mira, no te miento, me acaba de llamar en la mañana, quiere que vaya a consulta el próximo miércoles, te digo, yo le hice una llamada, no me pudo contestar, pero ve, luego, luego, me la regresó” (E8., 2022).

“Mi doctor se ha equivocado, pero es ser humano y todos cometemos errores, el interés que tiene por solucionarme mis problemas es genuino y eso me da tranquilidad” (E10., 2022).

Esto se debe a que el interés demostrado por los dentistas hacia las problemáticas dentales específicas de los adultos mayores les brinda tranquilidad, lo que los motiva a seguir acudiendo a los consultorios odontológicos.

Análisis

Referencias

1. Abdullah, K., Jan, M. T. y Manaf, N. H. A. (2012). Un enfoque de modelado de ecuaciones estructurales para validar las dimensiones de SERVPERF en la industria aérea de Malasia. Revista Internacional de Ciencias de la Ingeniería y la Gestión, 3 (2), 134-141. https:// www.academia.edu/1526364/A_Structural_Equation_Modelling_Approach_to_Validate_the_Dimensions_of_SERVPERF_in_Airline_Industry_of_Malaysia?from=cover_page

2. Akdere, M., Top, M., & Tekingündüz, S. (2020). Examining patient perceptions of service quality in Turkish hospitals: The SERVPERF model. Total quality management & business excellence, 31(3-4), 342-352.

3. Baía, A., y Baptista, T. (2020). Impact of Service Quality on Patient Satisfaction: In a Public Hospital in Cap Vert. European Journal of Business and Management, 12(27), 1-11. https://www.researchgate.net/profile/Amandio-Baia/publication/353659772_Impact_of_Service_Quality_on_Patient_Satisfaction_In_a_Public_Hospital_in_Cap_Vert/ links/6109121d169a1a0103d4ce3a/Impact-of-Service-Quality-on-Patient-SatisfactionIn-a-Public-Hospital-in-Cap-Vert.pdf

4. Braine, T. (2005). More oral health care needed for ageing populations. Bulletin of the World Health Organization, 83, 646-647. https://www.scielosp.org/article/ssm/content/ raw/?resource_ssm_path=/media/assets/bwho/v83n9/v83n9a06.pdf

5. Calero, J. A., Rodríguez, L., y Barreto, J. F. (2008). La calidad y el mejoramiento continuo: claves en el éxito del ejercicio profesional en odontología. Colombia Médica, 39(1), 11-27. http://www.scielo.org.co/pdf/cm/v39n1s1/v39n1s1a3.pdf

6. Calero, R. M. D. R. (2012). El papel del marketing en los servicios sanitarios. Enfermería Clínica, 22(4), 234-235. https://www.sciencedirect.com/science/article/abs/pii/ S1130862112000216?via%3Dihub

7. Cárdenas, M. J. M. (2007). El marketing holístico en la oferta de prestación de servicios de salud en Colombia. Panorama, 1(1), 2. https://www.researchgate.net/publication/276237822_El_ marketing_holistico_en_la_oferta_de_prestacion_de_servicios_de_salud_en_Colombia

8. Castelló, A. I. F., y Carrasco, G. (2019). Competencias del líder en healthcare. Journal of healthcare quality research, 34(4), 165-166. https://dialnet.unirioja.es/servlet/articulo?codigo=7107187

9. Cleland, J., Hutchinson, C., Khadka, J., Milte, R., & Ratcliffe, J. (2021). What defines quality of care for older people in aged care? A comprehensive literature review. Geriatrics & Gerontology International, 21(9), 765-778.

10. Congreso de la Unión. (2024). Ley General de Salud. Cámara de Diputados del H. Congreso de la Unión. https://www.diputados.gob.mx/LeyesBiblio/pdf_mov/Ley_General_de_Salud.pdf

11. Crutzen, C., & Adam, S. (2022). “What if It’s not Just an Item of Clothing?”–A Narrative Review and Synthesis of the White Coat in the Context of Aged Care. Psychologica Belgica, 62(1), 62.

12. Cruz Palma, G., Nakagoshi Cepeda, A. A., Quiroga García, M. Á., Palomares Gorham, P. I., Galindo Lartigue, C., & González Meléndez, R. (2018). Sustentabilidad en los servicios de salud bucal en México. Odontología vital, (29), 39-42.

13. Dolce, M. C., Parker, J. L., Savageau, J. A., & Da Silva, J. D. (2019). Older adult patients’ experience of care in a dental school clinic. Journal of Dental Education, 83(9), 1039-1046. https://onlinelibrary.wiley.com/doi/abs/10.21815/JDE.019.104

14. Ettinger, R., Marchini, L., & Hartshorn, J. (2021). Consideration in planning dental treatment of older adults. Dental Clinics, 65(2), 361-376.

15. Gajardo, J., Moreno, X., Fuentes-García, A., Moraga, C., Briceño, C., y Cifuentes, D. (2020). Percepción usuaria de beneficios en salud del Programa Más Adultos Mayores Autovalentes en el Servicio de Salud Metropolitano Norte. Revista médica de Chile, 148(3), 304-310. https://scielo.conicyt.cl/scielo.php?pid=S0034-98872020000300304&script=sci_arttext&tlng=n

16. Ghanbarzadegan, A., Balasubramanian, M., Luzzi, L., Brennan, D., & Bastani, P. (2021). Inequality in dental services: a scoping review on the role of access toward achieving universal health coverage in oral health. BMC Oral Health, 21, 1-11.

17. Graskemper, J. P. (2023). Professional responsibility in dentistry: a practical guide to law and ethics. John Wiley & Sons.

18. Hassani, H., Norouzi, K., Ghodsi, A., & Huang, X. (2023). Revolutionary dentistry through blockchain technology. Big Data and Cognitive Computing, 7(1), 9.

19. Ho, J. C. Y., Chai, H. H., Lo, E. C. M., Huang, M. Z., & Chu, C. H. (2024). Strategies for effective dentist-patient communication: a Literature Review. Patient preference and adherence, 1385-1394.

20. Ho, J. C. Y., Chai, H. H., Luo, B. W., Lo, E. C. M., Huang, M. Z., & Chu, C. H. (2025). An Overview of Dentist–Patient Communication in Quality Dental Care. Dentistry Journal, 13(1), 31.

21. INAPAM. (2019). Salud bucodental en las personas mayores. Gobierno de México. https:// www.gob.mx/inapam/es/articulos/salud-bucodental-en-las-personas-mayores?idiom=es

Análisis de la experiencia de los adultos mayores

22. Jonkisz, A., Karniej, P., & Krasowska, D. (2021). SERVQUAL method as an “old new” tool for improving the quality of medical services: A literature review. International journal of environmental research and public health, 18(20), 10758.

23. Kossioni, A. E. (2013). Current status and trends in oral health in community dwelling older adults: A global perspective. Oral Health Prev Dent, 11(4), 331-340. http://www. quintpub.com/userhome/ohpd/ohpd_2013_04_s0331.pdf

24. Latour, J., Legge, A., & Nasser, M. (2021). Older Patients’ Views of Oral Health Care and Factors which Facilitate or Obstruct Regular Access to Dental Care-Services: A Qualitative Systematic Review.

25. Levin, R. P. (2004). The correlation between dental practice management and clinical excellence. Journal of the American Dental Association, 135(3), 345-346. https://jada. ada.org/article/S0002-8177(14)61205-8/fulltext

26. Liang, H., Xue, Y., & Zhang, Z. R. (2021). Patient satisfaction in China: a national survey of inpatients and outpatients. BMJ open, 11(9), e049570.

27. Linde, P. (2022, octubre 8). Los pacientes se mueven por España, sus datos clínicos no: “A veces tenemos que atenderlos a ciegas”. El País. https://elpais.com/sociedad/2022-10-09/ los-pacientes-se-mueven-por-espana-sus-datos-clinicos-no-a-veces-tenemos-que-atenderlos-a-ciegas.html

28. Lindmark, U., Ernsth Bravell, M., Johansson, L., & Finkel, D. (2021). Oral health is essential for quality of life in older adults: A Swedish National Quality Register Study. Gerodontology, 38(2), 191-198.

29. Malama, F. M. y Hyder, A. S. (2015). Impact of culture on marketing of health services – Elekta in Brazil. International Business Review, 24(3), 530-540. https://www.sciencedirect.com/science/article/pii/S0969593114001607

30. Magdaleno, M. O. (2024). Salud bucal en América Latina: Desafíos por afrontar. Revista Latinoamericana de Difusión Científica, 6(11), 142-156.

31. Marchini, L. (2023). Educating dental students to provide compassionate age friendly care for older adults. Journal of dental education, 87(8), 1153-1160.

32. Martín, F. J., Ariza, C. G., Rodríguez, M. G., Gayo, M. M., Martínez, G. M., Alzola, M. C., y Fernández, S. M. M. I. (2015). Satisfacción con la enfermera en atención primaria: herramientas de medida y factores explicativos. Revista de Calidad Asistencial, 30(2), 86-94. https://www.elsevier.es/es-revista-revista-calidad-asistencial-256-articulo-satisfaccion-con-enfermera-atencion-primaria-S1134282X15000147

33. Martínez-Angulo, P., Munoz-Mora, M., Rich-Ruiz, M., Ventura-Puertos, P. E., Cantón-Habas, V., & López-Quero, S. (2023). " With your age, what do you expect?": Ageism and healthcare of older adults in Spain. Geriatric Nursing, 51, 84À94.

34. Martínez, G. J. M. y Pérez, C. L. (2021). La transformación del marketing sanitario: cómo los datos son el petróleo del siglo XXI. ESIC Editorial https://books.google.es/ books?hl=es&lr=&id=Jd0xEAAAQBAJ&oi=fnd&pg=PT5&dq=Mart%C3%ADnez,+G.+J.+M.+P%C3%A9rez,+C.+L.+(2021)+La+transformaci%C3%B3n+del+marketing+sanitario:+c%C3%B3mo+los+datos+son+el+petr%C3%B3leo+del+siglo+XXI.+ESIC+Editorial&ots=LuYmmGEwmk&sig=VRlmY-sHwVPdSQT_kBY6-XUgTt0#v=onepage&q&f=false

35. Martín-Moreno, J. M., Arenas, A., Bengoa, R., Borrell, C., Franco, M., García-Basteiro, A. L., ... y Vives-Cases, C. (2020). Reflexiones sobre cómo evaluar y mejorar la respuesta a la pandemia de COVID-19. Gaceta Sanitaria. https://www.sciencedirect.com/science/ article/pii/S0213911120302545

36. Miranda Guerra, A. D. J., Hernández Vergel, L. L., & Rodríguez Cabrera, A. (2009). Calidad de la atención en salud al adulto mayor. Revista Cubana de medicina general integral, 25(3). http://scielo.sld.cu/scielo.php?script=sci_arttext&pid=S0864-21252009000300003

37. Miura, H. (s.f.-a). Special Issue "Health Services Research on Dentistry in Aged Society". International Journal of Environmental Research and Public Health, MDPI. https://www. mdpi.com/journal/ijerph/special_issues/Dentistry_Aged_Society

38. Miura, H. (s.f.-b). 2nd Edition of Health Services Research on Dentistry in Aged Society. International Journal of Environmental Research and Public Health, MDPI. https://www. mdpi.com/journal/ijerph/special_issues/Dentistry_Aged_Society

39. Müller, F., Shimazaki, Y., Kahabuka, F., & Schimmel, M. (2017). Oral health for an ageing population: the importance of a natural dentition in older adults. International dental journal, 67, 7-13. https://onlinelibrary.wiley.com/doi/full/10.1111/idj.12329

40. Organización Mundial de la Salud. (2024). Envejecimiento y Salud. Organización Mundial de la Salud. https://www.who.int/es/news-room/fact-sheets/detail/ageing-and-health

41. Petersen, P. E., & Ueda, H. (2008). Oral health in ageing societies: integration of oral health and general health: report of a meeting convened at the WHO Centre for Health Development in Kobe, Japan, 1-3 June 2005. https://apps.who.int/iris/bitstream/handle/10665/43531/9789241594501_eng.pdf

42. Pham, N. C., Pham, H. H., Hossain, T., & Li, Y. (2020). Servicescapes in healthcare: A qualitative study on the Elderly's perception of an aged care facility. Asia Pacific Journal of Health Management, 15(1), 26-34.

Análisis de la experiencia de los adultos mayores

43. Porter, M. E., y Teisberg, E. O. (2007). Redefining health care: creating value-based competition on results. New England Journal of Medicine, 356, 316-7. https://archives-rfg. revuesonline.com/gratuit/RFG33_177_14_Actua_des_livres.pdf

44. Priego Álvarez, H. R. A. (2015). Mercadotecnia en salud: aspectos básicos y operativos. (4ª ed., Vol. 4) Colección Julián Manzur Ocaña vida y salud social. http://www.rims.org. mx/wp-content/uploads/2021/06/MenS-210515_compressed.pdf

45. Ramos, E. (2016). Análisis de la participación laboral de los adultos mayores con base en un modelo logit. La situación demográfica de México, 87-107.

46. Rekow, E. D. (2020). Digital dentistry: The new state of the art—Is it disruptive or destructive?. Dental Materials, 36(1), 9-24.

47. Rotenstein, L. S., Sadun, R., y Jena, A. B. (2018). Why doctors need leadership training. Harvard Business Review, 17, 1-5. https://hbr.org/2018/10/why-doctors-need-leadership-training

48. Smagula, S. F., Zhang, G., Gujral, S., Covassin, N., Li, J., Taylor, W. D., ... & Krafty, R. T. (2022). Association of 24-hour activity pattern phenotypes with depression symptoms and cognitive performance in aging. JAMA psychiatry, 79(10), 1023-1031.

49. Smith, L. A., Smith, M., & Thomson, W. M. (2020). Barriers and enablers for dental care among dentate home-based older New Zealanders who receive living support. Gerodontology, 37(3), 244-252.

50. Soares, G. H., Ortiz-Rosa, E., Alves, C. P., Paz, D., An, K. S., Pereira, A. C., ... & Michel-Crosato, E. (2021). Factors associated with utilisation of dental services by the elders from São Paulo, Brazil. Gerodontology, 38(2), 216-227.

51. Srinivas, S., Rao, K. M., Sushma, R., Bharadwaj, R. S., Doggalli, N., & Doddawad, V. G. (2023). Empathy and attitude towards geriatric patients among dental students in clinical settings: A descriptive study. Perioperative Care and Operating Room Management, 32, 100329.

52. Srivastava, P. and Hopwood, N. (2009), “A practical iterative framework for qualitative data analysis”, International Journal of Qualitative Methods, Vol. 8 No. 1, pp. 76-84.

53. Suárez, N. L., Hernández, C. G., Caján, M. V., Remoaldo, P. C., Torres, C. S., y Priego, H. R. A. (2016). Conocimientos y actitudes hacia la mercadotecnia en salud en países de Iberoamérica. Revista Cubana de Salud Pública, 42(1), 115-128. https://www.medigraphic. com/pdfs/revcubsalpub/csp-2016/csp161l.pdf

54. Suryadi, S., Pasinringi, SA y Kadir, AR (2022). El efecto del marketing de relaciones con el cliente y el valor del cliente en la lealtad del cliente en el Hospital Syekh Yusuf, Gowa Regency. Revista de investigación multicultural asiática para el estudio de la economía y la gestión , 3 (2), 21-28.

55. Tiwari, T., Maliq, N. N., Rai, N., Holtzmann, J., Yates, L., Diep, V., ... & Frantsve-Hawley, J. (2023). Evaluating Trust in the Patient–Dentist Relationship: A Mixed-Method Study. JDR Clinical & Translational Research, 8(3), 287-298.

56. Tracy, S.J. (2013), Qualitative Research Methods: Collecting Evidence, Crafting Analysis,

57. Communicating Impact, John Wiley & Sons, Ltd, Publication.

58. Tasayco-Torbisco, GL, & Cóndor Cámara, DF (2023). Teleodontología: una definición por esclarecer. Revisión de la literatura. Revista Estomatológica Herediana , 33 (2), 138-153.

59. Van de Rijt, L. J., Stoop, C. C., Weijenberg, R. A., de Vries, R., Feast, A. R., Sampson, E. L., & Lobbezoo, F. (2020). The influence of oral health factors on the quality of life in older people: a systematic review. The Gerontologist, 60(5), 378-394.

60. Valtakoski, A. (2020). The evolution and impact of qualitative research in Journal of Services Marketing. Journal of Services Marketing, 34(1), 8-23

61. Zúñiga, D. C., Fernández, M. Á. L., & González, F. M. (2021). El derecho a la salud, un tema presente. Revista CONAMED, 26(2), 55-56.

62. Willis, D. O. (2013). Generating Patients for the Practice. Business Basics for Dentists, 213-228. https://onlinelibrary.wiley.com/doi/abs/10.1002/9781118783368.ch17

63. Wu, C. Z., Yuan, Y. H., Liu, H. H., Li, S. S., Zhang, B. W., Chen, W., ... & Li, L. J. (2020). Epidemiologic relationship between periodontitis and type 2 diabetes mellitus. BMC Oral Health, 20(1), 1-15.

Un desértico camino en la esterilización

La historia de la esterilización a lo largo del desarrollo humano ha sido extensa y compleja. La humanidad ha pasado momentos cruciales, como en las guerras de Troya, donde los médicos de la época, con la ayuda de vino, miel y lienzos de lino, hacían su mejor esfuerzo por tratar heridas. Posteriormente, el miedo y la ignorancia dominaron distintas épocas, propagando enfermedades y muerte. A pesar de ello, la humanidad logró sobrevivir con grandes dificultades. Prácticas tan básicas como el lavado de manos y la limpieza no formaban parte del entorno hospitalario. Sin embargo, no todo estaba perdido. Con el tiempo, los esfuerzos de mentes brillantes trajeron un rayo de esperanza. Ignaz Semmelweis fue pionero en la higiene, Charles Chamberland contribuyó al desarrollo del autoclave, y Robert Koch definió procesos que permitieron identificar microorganismos responsables de enfermedades como el ántrax, la tuberculosis y el cólera. A su vez, los trabajos de Louis Pasteur reforzaron la importancia de la desinfección y la esterilización.

Un punto a destacar es que todos los métodos de esterilización presentan beneficios y algunas limitaciones. Si bien no es un tema común, podemos mencionar, por ejemplo, los del autoclave. Estos equipos son ampliamente utilizados en consultorios médicos por su practicidad, rapidez y eficacia en la esterilización mediante vapor saturado. Sin embargo, no están exentos de limitaciones. Por ejemplo, pueden deteriorar el filo de instrumentos punzocortantes debido a la presión y humedad del proceso. Los modelos más comunes

en consultorios, generalmente de clase N, no cuentan con ciclos de vacío, lo que impide esterilizar bultos quirúrgicos u objetos huecos como cánulas o riñoneras, ya que el vapor no penetra de forma uniforme. Además, no deben utilizarse con líquidos, polvos ni aceites. Finalmente, el uso prolongado de vapor puede provocar erosión en artículos de cristalería, volviéndolos opacos.

Dichas limitaciones evidencian la necesidad de métodos complementarios, como la esterilización por calor seco, ideal para evitar la pérdida de filo en instrumentos punzocortantes, además de ser eficiente en la esterilización de otros materiales como el cristal, talcos estables y petrolatos, entre otros.

Esterilización por calor seco

La esterilización por calor seco es un proceso basado en la oxidación de los elementos celulares, lo que provoca la mortandad microbiológica. El principal agente en esta operación es el aire, que, a temperaturas superiores a las que la mayoría de microorganismos pueden soportar durante tiempos prolongados, penetran en su capa proteínica generando su ruptura. Este equipo es conocido bajo distintos nombres, como esterilizador de calor seco o Poupinel, y en algunos casos puede confundirse con la estufa de Pasteur Sin embargo, esta última está más orientada a la industria alimentaria, con tiempos de trabajo y temperaturas que varían considerablemente.

En el caso de la esterilización en calor seco podemos encontrar 2 tipos de equipos:

Por gravedad: Estos equipos generalmente están fabricados con una cámara cuyo revestimiento contiene una resistencia eléctrica capaz de convertir la electricidad en calor. Cuentan con un sistema de ventilación que permite la entrada y salida de aire. Este mecanismo facilita la transferencia de calor al instrumental, aunque el proceso suele ser más lento. Es fundamental evitar corrientes de aire dentro de la cámara, ya que podrían generar contaminación cruzada.

De convección mecánica: Estos equipos poseen dispositivos que generan la circulación del aire de manera rápida y en gran volumen, lo que agiliza la transmisión de calor. Gracias a este mecanismo, los tiempos de esterilización son más cortos y la estabilidad térmica es mayor.

Para su uso y manejo, se recomienda esterilizar materiales incompatibles con autoclaves de vapor u otros métodos de esterilización específicos; instrumental cortante y de acero inoxidable, como pinzas, tijeras y bisturíes; agujas y jeringas de cristal, especialmente aquellas fabricadas con vidrio denso y de alta resistencia química y térmica, como las utilizadas en laboratorios químicos; líquidos no acuosos y sustancias liposolubles e hidrófugas, tales como aceites, siliconas, parafinas, vaselinas, cremas y polvos termoestables, como algunos talcos.

En ocasiones, la desinformación puede llegar a afectar estos procesos. La Asociación para el Avance de la Instrumentación Médica (AAMI), en conjunto con el Instituto Nacional Estadounidense de Estándares (ANSI), explica que dentro de los errores más comunes en la esterilización por calor seco se encuentran:

• Falta de capacitación y comprensión sobre la esterilización por calor seco.

• La incorrecta preparación y embalaje del material a esterilizar.

• Sobresaturación de los equipos, lo que genera el estancamiento de la temperatura y burbujas de aire frío dentro del equipo, comprometiendo la eficacia del proceso.

• Mala selección del tiempo en la temperatura.

• Uso de equipos en mal estado que requieren mantenimiento técnico.

• No seleccionar el ciclo adecuado del instrumental.

Un desértico camino en la esterilización

• Esterilización de materiales nuevos sin verificar previamente su proceso adecuado mediante las fichas técnicas del fabricante.

• No llevar el registro de los parámetros del instrumental así como la trazabilidad del material esterilizado.

• Manipulación incorrecta del material y/o del equipo esterilizador.

Otro apoyo importante para la correcta práctica de esterilización, es el Manual de Esterilización de la Organización Panamericana, el cual recomienda:

• Realizar validaciones periódicas del equipo y del material.

• Utilizar indicadores químicos para asegurar que todas las áreas del equipo alcancen la temperatura adecuada de manera uniforme.

• Distribuir correctamente la carga, permitiendo la circulación del aire caliente, evitando acumulaciones y asegurando que el material no haga contacto con las paredes del equipo.

• Seleccionar el empaquetado adecuado para el instrumental y verificar que las cintas testigo sean compatibles con este método de esterilización.

• Mantener controles y registros del proceso, incluyendo el uso de indicadores químicos, el monitoreo de tiempos y temperaturas en cada ciclo, y la programación de mantenimientos preventivos o correctivos en caso de fallas.

La normativa de la Asociación para el Avance de la Instrumentación Médica (AAMI) enfatiza la importancia del adecuado almacenamiento del material esterilizado. Se debe evitar el amontonamiento o apilamiento excesivo del material esterilizado, ya que esto puede provocar la ruptura de los contenedores o la retención de polvo, comprometiendo la esterilidad.

También se recomienda utilizar espacios cerrados o aislados para minimizar la contaminación por exposición a ráfagas de aire o por manipulación indebida de terceros. En caso de emplear espacios abiertos, se debe garantizar que se cumplan las precauciones anteriores y que se mantenga una limpieza y desinfección rigurosa del área de almacenamiento.

Finalmente, respecto a la vida útil del material esterilizado, dependerá de diversos factores, entre ellos, el tipo y calidad del envasado utilizado, así como las condiciones de almacenamiento y transporte, incluyendo temperatura, humedad y ventilación. También influyen el número de personas que manipulan el material, la frecuencia con la que se realiza esta manipulación y el nivel de asepsia y cuidado del personal encargado de su manejo. Para optimizar la gestión del material esterilizado, se recomienda aplicar el principio “Primero en entrar, primero en salir” asegurando que los productos más antiguos sean utilizados antes que los recién esterilizados.

Conclusión:

Si bien puede parecer muy rigurosa la atención requerida en este método de esterilización, es

fundamental recordar que todos los métodos de esterilización conllevan una responsabilidad en su manejo. Las precauciones adecuadas nos ayudarán a prolongar la vida útil del instrumental, evitar el deterioro prematuro de material especializado y garantizar que contamos con herramientas de trabajo que nos respalden con precisión para satisfacer requisitos más específicos.

Es importante recordar que la esterilización por calor seco, lejos de ser un método sustituto, es un complemento necesario al autoclave, garantizando que se mantenga la máxima eficacia y seguridad en el manejo de los instrumentos, adaptándose a las necesidades específicas de cada material y especialidad médica.

Autor: Ing. Adrián Sánchez Pérez / Coordinador de Educación Lorma

Referencias

1. https://www.gob.mx/salud/articulos/fiebres-en-el-puerperio-una-preocupacion-para-la-salud-materna#:~:text=Durante%20el%20siglo%20XIX%20la,asepsia%20 y%20la%20atenci%C3%B3n%20 m%C3%A9dica.

2. https://dialnet.unirioja.es/descarga/articulo/3838899.pdf

3. https://pmc.ncbi.nlm.nih.gov/articles/PMC11617125/

4. https://www.paho.org/es/documentos/manual-esterilizacion-para-centros-salud-2008

5. https://accessmedicina.mhmedical.com/content.aspx?bookid=2194&sectionid=167840637

6. https://webstore.ansi.org/standards/aami/ansiaamist402004r2018?srsltid=AfmBOoqmQohH4UVX5sCb9KCrbYTwaPYe4hksNgOZlVPGoT8C3B1jZI3

Explantación atraumática y recambio de implantes

mal posicionados y afectados por periimplantitis sumado a la utilización de implantes estrechos y cortos.

Enfoque mínimamente invasivo de un caso de atrofia ósea moderada

Explantación atraumática y recambio de implantes

Eduardo Anitua DDS, MD, PhD. Private practice in oral implantology, Eduardo Anitua Institute, Vitoria, Spain. Clinical researcher, Eduardo Anitua Foundation, Vitoria, Spain. University Institute for Regenerative Medicine and Oral Implantology - UIRMI (UPV/EHU-Fundación Eduardo Anitua), Vitoria, Spain.

Corresponding author: Dr. Eduardo Anitua, Eduardo Anitua Foundation; C/ Jose Maria Cagigal 19, 01007 Vitoria, Spain; Phone: +34 945160653, eduardo@fundacioneduardoanitua.org.

Los implantes dentales son un tratamiento de rutina extendido en todas las clínicas dentales en la actualidad.¹,² Con el aumento de su utilización y el paso de los años, se han comenzado a registrar incidencias relacionadas con los mismos, al igual que ha sucedido con otros tratamientos dentales a lo largo del tiempo. Una de las principales complicaciones que sufren los implantes es la periimplantitis.

A pesar de que se han publicado numerosos tratamientos para la periimplantitis basados en técnicas resectivas y regenerativas, principalmente buscando la conservación del implante una vez integrado, existe un punto que podemos considerar de no retorno, donde se debe pensar en la explantación del implante y el retratamiento del caso.⁵-⁷

Figuras 1-4. Imágenes intraorales iniciales del paciente, en las que se observa recesión gingival en los dientes 13 y 23, con coronas metal-cerámicas desadaptadas. Asimismo, se evidencian implantes en las zonas del primer y segundo cuadrante con pérdida completa de encía insertada en la región correspondiente a las piezas rehabilitadas como 14-16.

En este tipo de situaciones, poder revertir la oseointegración es crucial, ya que nos permite retirar el implante sin dañar el lecho óseo y, en una misma intervención, colocar un nuevo implante que puede incluso ser rehabilitado de forma inmediata, tal como hemos publicado en diferentes artículos donde explicamos una técnica innovadora para la explantación.⁸-¹⁰

Otro problema relacionado con los implantes, que podemos observar con relativa frecuencia en la consulta dental, son los implantes mal posicionados o con angulaciones erróneas que dificultan o incluso, en ocasiones, no permiten su rehabilitación de forma satisfactoria desde un punto de vista estético y funcional. Las principales causas de colocación de implantes mal posicionados pueden ser quirúrgicas (limitaciones anatómicas, escasa disponibilidad de volumen óseo residual), físicas (apertura bucal restringida) o yatrogénicas (mala planificación o pérdida de orientación y referencias anatómicas durante la cirugía).¹¹,¹²

El tratamiento de implantes que podemos considerar “fracasados”, desde un punto de vista estético, protésico o afectados por periimplantitis, es por lo tanto el nuevo reto a afrontar, intentando establecer prácticas y protocolos que nos permitan un abordaje de estos casos sencillo y conservador.

Figura 5. Imagen radiográfica inicial. En ella se evidencian los problemas asociados a las piezas 37 y 47, así como la angulación de los implantes dentales en los cuadrantes superiores derecho e izquierdo.

Explantación atraumática y recambio de implantes

Por ello, la extracción de implantes de forma atraumática, llevada a cabo por nuestro kit de explantación (KEXIM®, BTI),⁸ diseñado por nuestro grupo de estudio, nos garantiza la retirada de estos implantes mediante un método basado en el contratorque, altamente conservador, que nos permite retirar el implante dejando el lecho óseo en buenas condiciones para el inicio de la nueva rehabilitación.⁸-¹⁰,¹³

Una vez regenerado el defecto, la planificación tridimensional correcta del caso y el empleo de implantes de menor longitud y diámetro nos asegura el

Figuras 6 y 7. Cortes diagnósticos del cone-beam donde se observa, en la zona correspondiente a la pieza 36, una atrofia mixta marcada (horizontal y vertical), motivo por el cual se planifica un implante de plataforma estrecha de 3 × 7.5 mm. En la región de la pieza 37 se planifica un implante corto de mayor diámetro (4 × 8.5 mm).

Figuras 8 y 9. Imágenes del estudio cone-beam del cuarto cuadrante, donde se planifican 2 implantes cortos y estrechos, siendo de menor diámetro el más mesial, de manera similar a lo planificado en el tercer cuadrante.

mantenimiento óseo en torno al nuevo implante de forma más predecible. Además, el uso de implantes de menor tamaño, tanto en longitud como en diámetro, nos permitirá pensar a futuro en nuestros casos y conservar el mayor volumen óseo residual al no englobar todo en nuestro plan de tratamiento inicial.

Esto facilita tanto la cirugía (menor fresado, menor tiempo de ejecución y secuencias más simplificadas) como la selección del implante (menor abanico de longitudes y diámetros) y, lo que es más importante, el retratamiento o la reversibilidad de los implantes si fuese necesaria su retirada.¹⁴

Explantación atraumática y recambio de implantes

Caso clínico

Presentamos el caso de un paciente varón de 54 años que acude a la consulta demandando mejorar la estética

Basándonos en estos 2 enfoques —reversibilidad de la oseointegración y preservación del lecho óseo utilizando la menor cantidad del mismo posible, con implantes cortos y estrechos— hemos realizado una renovación total de un caso de implantes mal posicionados y con atrofia moderada maxilar y mandibular, tal como mostraremos paso a paso en el presente trabajo.

Figuras 10 y 11. Cortes del cone-beam que muestran la posibilidad de colocar dos implantes en la zona más distal del segundo cuadrante, evitando así la necesidad de implantes angulados y mal posicionados que comprometerían la posterior rehabilitación protésica.

Figuras 12 y 13. Cortes del primer cuadrante donde se llevará a cabo la explantación de los dos implantes mal posicionados y la colocación de nuevos implantes, con una mejor distribución biomecánica y una emergencia en la cresta más favorable para la nueva prótesis.

de los sectores posteriores maxilares, rehabilitados hace algunos años con implantes dentales. Además, refiere disconfort al cepillado y sangrado gingival, sobre todo en el primer cuadrante.

En la exploración intraoral inicial observamos coronas desajustadas sobre

diente natural en ambos caninos superiores, con exposición de la raíz de ambos dientes, y unas rehabilitaciones sobre implantes con coronas muy elongadas y adición de cerámica rosa en el primer cuadrante. En esta zona se observa, además, una pérdida completa de la encía insertada, con recesión de

los tejidos blandos e inflamación crónica (Figuras 1-4).

En la radiografía panorámica inicial se observa, además, el fracaso de la rehabilitación del diente 37, que presenta un sondaje positivo a nivel de furca de 10 mm, lo que indica, junto con la radiolucidez radiográfica, una posible fractura radicular. La pieza 38, con una marcada inclinación mesial, se decide extraer también de cara a la colocación de implantes en ese cuadrante.

Además, en la radiografía podemos observar una pérdida ósea horizontal a nivel del molar pilar de puente en posición 47, que presenta dolor y una imagen de pérdida ósea en la furca, por lo que se decide también su extracción.

En la ortopantomografía vemos, además, los ejes de los implantes del primer y segundo cuadrante, que probablemente se angularon para evitar limitaciones anatómicas como el seno maxilar, por lo que su posición en el arco no es la mejor, habiéndose generado problemas de mucositis periimplantaria, así como una disminución de la estética a ese nivel (Figura 5).

Para cerrar el diagnóstico y comenzar con el abordaje terapéutico, se lleva a cabo un cone-beam. En los cortes seccionales de la mandíbula vemos cómo en el tercer cuadrante podemos realizar la extracción de ambos molares (37 y 38) y la colocación de 2 implantes a ese nivel. La cresta ósea en esa área presenta una reabsorción horizontal marcada en la zona correspondiente

Explantación atraumática y recambio de implantes

a la pieza 36, por lo que se planifica un implante corto de plataforma estrecha (3 × 7.5 mm). En posición 37, la atrofia se encuentra más marcada en sentido vertical, por lo que se planifica un implante de mayor diámetro (4 mm) con una longitud de 8.5 mm (Figuras 6 y 7).

En el cuarto cuadrante, tenemos una situación parecida, optándose por la planificación de un implante corto de plataforma reducida para el primer molar, en posición 46, y en la zona correspondiente a la pieza 47 se planifica un implante de mayor diámetro

14-17. Extracción de los implantes mal posicionados del primer cuadrante mediante la técnica de explantación atraumática. Se observa cómo, al ser retirados, el lecho óseo se conserva intacto.

(3.75 × 7.5 mm) (Figuras 8 y 9). En ambos cuadrantes inferiores, existe una densidad ósea suficiente como para poder efectuar posteriormente una carga inmediata.

En los cortes correspondientes al maxilar superior, podemos observar cómo en el área más distal del segundo cuadrante, donde se colocaron 2 implantes angulados para evitar realizar una elevación de seno, es perfectamente posible insertar 2 implantes extra-cortos de 5.5 y 6.5 mm, para evitar el voladizo distal que ahora presenta la prótesis y, además, tener de este modo una mejor emergencia de los implantes en la cresta (Figuras 10 y 11).

En los 2 implantes ya insertados del cuadrante, con emergencias erróneas, se plantea la explantación atraumática y sustitución por un implante que, unido a los 2 distales, forme una nueva rehabilitación con mejor reparto de tensiones biomecánicas, a la vez que con una mejor opción protésica.

En el primer cuadrante, podemos ver también cómo se pueden extraer los 2 implantes mal posicionados, con ejes vestibulizados (probablemente por insertarlos con una longitud demasiado elevada), y colocar 2 implantes cortos y estrechos en una posición mucho más favorable, desde el punto de vista de la biomecánica y de la prótesis (Figuras 12 y 13).

Todos los implantes se extraen mediante el kit de explantación atraumática (KEXIM® – Biotechnology Institute), a contra-torque.⁸-¹⁰ Esta técnica genera la desoseointegración del implante conservando al máximo el volumen óseo residual y, por ello, es una de las alternativas que nos permite generar un nuevo tratamiento implantológico sin necesidad de reconstruir primero el lecho óseo, a menos que se trate de casos de gran destrucción ósea por periimplantitis (defectos en

Figuras 18 y 19. Imágenes de la inserción de un nuevo implante en el mismo lecho quirúrgico, esta vez con la inclinación correcta, marcada por la emergencia de la prótesis. Esto se observa mediante el posicionador y la guía quirúrgica elaborada a partir del encerado diagnóstico.

Figuras

Explantación atraumática y recambio de implantes

cráter muy extensos) o atrofias extremadamente severas.

En las imágenes intraorales de la cirugía de explantación podemos observar los ejes de los 2 implantes del primer cuadrante, con una emergencia en la cresta que imposibilita la consecución de una prótesis que cumpla con los requerimientos estéticos del paciente. Ambos implantes se extraen a

contra-torque, dejando un lecho óseo totalmente conservado, como vemos en las Figuras 14-17.

Con una nueva planificación basada en la prótesis, podemos dirigir la nueva inserción de los implantes, incluso aunque utilicemos uno de los antiguos alveolos (Figuras 18-20). En el caso del segundo cuadrante, los 2 implantes más mesiales se explantan también

Figura 20. Nuevos implantes colocados en el primer cuadrante, en los lechos postextracción de los implantes iniciales, con ejes de inserción correctos para la elaboración de una prótesis más estética.

Figuras 21-24. Retirada de los implantes del segundo cuadrante y colocación de un implante en el alvéolo postexplantación más mesial, con un eje adecuado para su rehabilitación, mostrando 2 vistas diferentes del procedimiento.

de forma atraumática, sin complicaciones en el procedimiento, siendo el lecho dejado por el implante más mesial aprovechado también para la colocación de un nuevo implante en la posición correcta, que se unirá posteriormente a los 2 más distales (figuras 21-24).

Los implantes inferiores se colocan sin problema en las zonas planificadas, tras

las extracciones dentales, y se realiza finalmente una carga inmediata de todos los implantes horas después de la cirugía, utilizándose prótesis atornillada sobre transepitelial y con barras articuladas como estructura de soporte.

Solo con la carga inmediata, la estética del sector posterior ha mejorado ostensiblemente, como podemos ver en las imágenes de la colocación de la prótesis horas después de terminar la intervención quirúrgica (Figuras 25-29).

Transcurridos 3 meses desde la cirugía inicial y la carga inmediata, se procede a la realización de las prótesis definitivas, acompañadas de nuevas reconstrucciones del sector anterior (superior e inferior), con facetas en los incisivos y coronas nuevas totalmente cerámicas en los caninos superiores que anteriormente presentaban coronas ceramometálicas desajustadas. El resultado final consigue armonizar toda la rehabilitación y cumplir

Figuras 25-28. Imágenes de la colocación de la prótesis de carga inmediata superior e inferior, realizadas horas después de la cirugía.
Figura 29. Radiografía de la prótesis de carga inmediata y los implantes, mostrando la relación entre ambos elementos.

Explantación atraumática y recambio de implantes

con los requerimientos funcionales y estéticos inicialmente solicitados por el paciente, tal como mostramos en las imágenes iniciales y finales (Figuras 30-33).

La comparativa de la radiografía inicial y final también merece la pena, ya que en ellas observamos la distribución tan diferente de los implantes del arco superior y el cambio en el patrón oclusal que ha tenido la nueva rehabilitación, aplanando la curva de Spee y generando un plano de mordida adecuado para el mantenimiento de los implantes y dientes implicados a largo plazo (Figuras 34-35).

Discusión

En el metaanálisis publicado por Fu y Wang en 2020,¹⁵ la prevalencia media ponderada de la mucositis periimplantaria y la periimplantitis se estimó en 43 % y 22 %, respectivamente, en Europa y América del Sur y del Norte.

Figuras 30-33. Imágenes iniciales y finales del caso. Se observan los parámetros estéticos corregidos de la rehabilitación, con la obtención de una oclusión mucho más estable.

Figuras 34 y 35. Comparativa de las radiografías inicial y a los 3 años. Se aprecian claramente la distribución biomecánica de los implantes superiores, perfectamente paralelos, sin voladizos ni puntos de tensión, comparado con la situación inicial. Además, los puentes sobre los implantes inferiores han logrado disminuir la curva de Spee, generando un plano oclusal mucho más estable.

Además, se observó que la prevalencia de la periimplantitis aumentaba con el paso del tiempo, por lo que es habitual que los problemas estéticos e infecciosos derivados se incrementen y que los pacientes busquen cada vez más una solución a estos.¹⁵

Cuando los implantes no se encuentran en la posición correcta, afectan negativamente a la preservación ósea y a los tejidos blandos de forma colateral.

Las recesiones gingivales y los problemas estéticos derivados de la malposición y de los cambios en los tejidos duros y blandos marcan una diferencia clínica significativa. Según la literatura internacional, un implante mal posicionado presenta un mayor riesgo de desarrollo de periimplantitis, con una odds ratio de 48.2.¹⁶ En el caso que hemos presentado, la malposición de los implantes fue claramente la causa de la pérdida de tejido blando, que a su vez originó mucositis y periimplantitis, además del disconfort tanto físico como estético referido por el paciente.

Actualmente, gracias a la inserción de implantes protésicamente guiada, al uso de implantes extracortos y de plataforma estrecha, y a una gran variedad de técnicas que apoyan la planificación y colocación precisa, la inserción de un implante en una posición incorrecta representa un error grave.¹⁵ ¹⁷-²²

Nuestro grupo de estudio ha utilizado durante más de 10 años la técnica de explantación atraumática con éxito en distintas situaciones clínicas, preconizando además la reversibilidad de los tratamientos. Recomendamos que los implantes se planifiquen siempre considerando la utilización del menor volumen óseo posible, en previsión de que dicho tratamiento deba ser revertido en el futuro por alguna causa.⁸-¹⁰,¹³-¹⁴

En este caso clínico se ha realizado una explantación atraumática

complementada con el uso de implantes cortos, extracortos, estrechos y de plataforma reducida, lo que ha permitido rehabilitar nuevamente en una única fase y de forma predecible las zonas previamente tratadas con implantes. De este modo, se han combinado varias técnicas mínimamente invasivas, todas enfocadas en reducir la morbilidad y permitir la reposición de la rehabilitación en el menor tiempo posible.

Ambos tipos de implantes han demostrado excelentes tasas de éxito en la literatura internacional, y por ello consideramos que constituyen una gran alternativa también para los casos de retratamiento. Los implantes cortos y extracortos presentan tasas de supervivencia a largo plazo superiores al 98 %²³-²⁷. Por su parte, los implantes estrechos también muestran tasas de supervivencia de entre 90 % y 94 %,

Explantación atraumática y recambio de implantes

aunque cuando se excluyen las técnicas de expansión y/o regeneración ósea que suelen acompañarlos, estas cifras ascienden, alcanzando en algunos estudios el 100%.²⁸-³¹

Conclusiones

La realización de explantaciones atraumáticas en casos de periimplantitis o de implantes mal posicionados permite retratar al paciente en una misma fase quirúrgica, reduciendo la morbilidad y los tiempos de espera. El uso combinado de esta técnica con otras mínimamente invasivas —como la colocación de implantes cortos, extracortos y estrechos— garantiza un menor impacto en el lecho óseo residual, una resolución más eficiente del caso y un aprovechamiento responsable del volumen óseo remanente, dejando abierta la posibilidad de reversibilidad del tratamiento en caso de ser necesario.

Referencias

1. Zohrabian VM, Sonick M, Hwang D, Abrahams JJ. Dental Implants. Semin Ultrasound CT MR. 2015 Oct;36(5):415-26.

2. Adams D. Positive outlook for dental implants. Dent Today. 2013 Aug;32(8):6.

3. Coli P, Jemt T. Are marginal bone level changes around dental implants due to infection? Clin Implant Dent Relat Res. 2021 Apr;23(2):170-177.

Investigación clínica

4. Prashanti E, Sajjan S, Reddy JM. Failures in implants. Indian J Dent Res. 2011 May-Jun;22(3):446-53.

5. Vervaeke S, De Bruyn H. Péri-implantite [Peri-implantitis]. Rev Belge Med Dent (1984). 2008;63(4):161-70.

6. Hussain RA, Miloro M, Cohen JB. An Update on the Treatment of Periimplantitis. Dent Clin North Am. 2021 Jan;65(1):43-56.

7. Fu JH, Wang HL. Can Periimplantitis Be Treated? Dent Clin North Am. 2015 Oct;59(4):951-80.

8. Anitua E. A New Approach for Treating Peri-Implantitis: Reversibility of Osseointegration. Dent Today. 2016 Feb;35(2):130-1.

9. Anitua E, Fernandez-de-Retana S, Alkhraisat MH. Performance of the counter-torque technique in the explantation of nonmobile dental implants. Int J Implant Dent. 2020 Jan 9;6(1):1.

10. Anitua E, Orive G. A new approach for atraumatic implant explantation and immediate implant installation. Oral Surg Oral Med Oral Pathol Oral Radiol. 2012 Mar;113(3):e19-25.

11. Buser D, Martin W, Belser UC. Optimizing esthetics for implant restorations in the anterior maxilla: anatomic and surgical considerations. The International journal of oral & maxillofacial implants. 2004;19(Suppl):43–61.

12. Tavares RN, da Escossia J, Jr, Santos SE, Ferraro-Bezerra M. Bone graft sandwich osteotomy to correct a malpositioned dental implant. International journal of oral and maxillofacial surgery. 2013;42(7):901–03.

13. Anitua E, Murias-Freijo A, Alkhraisat MH. Conservative Implant Removal for the Analysis of the Cause, Removal Torque, and Surface Treatment of Failed Nonmobile Dental Implants. J Oral Implantol. 2016 Feb;42(1):69-77.

14. Anitua E. Implant Dentistry from One-Way Direction to the Reversibility of the Osseointegration. Eur J Dent. 2022 May;16(2):464.

15. Fu JH, Wang HL. Breaking the wave of peri-implantitis. Periodontol 2000. 2020 Oct;84(1):145-160.

16. Canullo L, Tallarico M, Radovanovic S, et al. Distinguishing pre- dictive profiles for patient-based risk assessment and diagnostics of plaque induced, surgically and prosthetically triggered peri-im- plantitis. Clin Oral Implants Res. 2016;27(10):1243-1250.

17. D'Haese J, Ackhurst J, Wismeijer D, De Bruyn H, Tahmaseb A. Current state of the art of computer-guided implant surgery. Periodontol 2000. 2017;73(1):121-133.

18. Zhou W, Liu Z, Song L, Kuo CL, Shafer DM. Clinical factors affect- ing the accuracy of guided implant surgery—a systematic review and meta-analysis. J Evid Based Dent Pract. 2018;18(1):28-40.

19. Bover-Ramos F, Vina-Almunia J, Cervera-Ballester J, Penarrocha- Diago M, Garcia-Mira B. Accuracy of implant placement with computer-guided surgery: a systematic review and

Explantación atraumática y recambio de implantes

meta-analysis comparing cadaver, clinical, and in vitro studies. Int J Oral Maxillofac Implants. 2018;33(1):101-115.

20. Farley NE, Kennedy K, McGlumphy EA, Clelland NL. Split- mouth comparison of the accuracy of computer-generated and conventional surgical guides. Int J Oral Maxillofac Implants. 2013;28(2):563-572.

21. Vercruyssen M, Coucke W, Naert I, et al. Depth and lateral devia- tions in guided implant surgery: an RCT comparing guided surgery with mental navigation or the use of a pilot-drill template. Clin Oral Implants Res. 2015;26(11):1315-1320.

22. Younes F, Eghbali A, De Bruyckere T, Cleymaet R, Cosyn J. A ran- domized controlled trial on the efficiency of free-handed, pilot- drill guided and fully guided implant surgery in partially edentulous patients. Clin Oral Implants Res. 2019;30:131-138.

23. Amato F. Overcoming anatomical limitations: The new frontier of Implantology. Compend Contin Educ Dent 2018; 39: 13-5.

24. Mijiritsky E, Barbu H, Lorean A, Shohat I, Danza M, Levin L. Use of implant-derived minimally invasive sinus floor elevation: A multicenter clinical observational study with 12- to 65-month follow-up. J Oral Implantol 2016; 42: 343-8.

25. Franceschetti G, Trombelli L, Minenna L, Franceschetti G, Farina R. Learning curve of a minimally invasive technique for transcrestal sinus floor elevation: A split-group analysis in a prospective case series with multiple clinicians. Implant Dent 2015; 24: 517-26.

26. Rajput N, Mohammed J. Minimally invasive transmucosal insertion and immediate provisonalization of one-piece implant in partially edentulous posterior mandible. J Clin Diagn Res 2013; 7: 2070-3.

27. Anitua E, Alkhraisat MH. Clinical performance of short dental implants supporting single crown restoration in the molar-premolar region: Cement versus screw retention. Int J Oral Maxillofac Implants 2019; 34: 969–76.

28. Anitua E, Alkhraisat MH. 15-year follow-up of short dental implants placed in the partially edentulous patient: Mandible vs maxilla. Ann Anat 2019; 222: 88-93.

29. Anitua E, Piñas L, Begoña L, Orive G. Long-term retrospective evaluation of short implants in the posterior areas: clinical results after 10-12 years. J Clin Periodontol 2014; 41: 404-11.

30. Anitua E, Saracho J, Begoña L, Alkhraisat MH. Long-term follow-up of 2.5 mm narrow-diameter implants supporting a fixed prostheses. Clin Implant Dent Relat Res 2016; 18: 769-77.

31. Anitua E, Errazquin JM, de Pedro J, Barrio P, Begoña L, Orive G. Clinical evaluation of Tiny® 2.5and 3.0-mm narrow-diameter implants as definitive implants in different clinical situations: a retrospective cohort study. Eur J Oral Implantol 2010; 3: 315-22.

Tratamiento de mordida profunda, con arco utilitario, en paciente en crecimiento. Parte 1

La mordida profunda puede ser identificada a edades tempranas, por lo que su tratamiento puede comenzar en etapas de crecimiento, siendo una alternativa el arco utilitario, el cual ofrece beneficios satisfactorios. Objetivo: Eliminar la mordida profunda y mantener la clase molar I, en un paciente en crecimiento. Metodología: paciente de 12 años de edad, masculino, sin datos patológicos, con mordida profunda, incisivos inferiores lingualizados, y dentición mixta. El plan de tratamiento consistió en la colocación de arco utilitario para eliminar la mordida profunda, alinear y nivelar. Resultados: a los 6 meses de tratamiento, se corrigió la sobremordida y se mantuvo la relación molar y premolar en clase I. Se retiró la aparatología sin indicar retención, ya que el paciente se encontraba en crecimiento. Discusión: McNamara comentó que el uso del arco utilitario es eficaz para controlar la dimensión vertical y permitir la extrusión de dientes posteriores, generando una disminución de la mordida profunda sin comprometer el

anclaje anterior ni el desarrollo natural de la dentición. Conclusión: el arco utilitario del Dr. Ricketts nos permite no solo intruir el sector anterior para quitar mordida profunda, si no también trabajar con el plano oclusal, crear anclaje cortical, y a su vez manejar el torque de las piezas dentarias.

Palabras claves: arco utilitario, mordida profunda, paciente en crecimiento.

Durante el crecimiento es de gran importancia una masticación adecuada, para fortalecer la musculatura y estructuras óseas que involucran la cavidad oral.1

Las alteraciones oclusales en la dentición decidua pueden impactar significativamente los planos sagital, transversal y vertical, influyendo en el desarrollo

armónico de la mandíbula y los arcos dentales. En el plano sagital, una sobremordida puede ser una consecuencia de un overjet aumentado, que posteriormente se establece en una sobremordida. Estas discrepancias afectan la posición anteroposterior de los dientes. En el plano transversal, las mordidas cruzadas alteran la simetría de las arcadas dentales, afectando la funcionalidad masticatoria. Por último, en el plano vertical, condiciones como la mordida abierta o la mordida profunda modifican la dimensión vertical de la oclusión, generando desequilibrios en la relación entre los dientes superiores e inferiores, lo que puede requerir intervenciones tempranas.2

Para abordar la mordida profunda en dentición mixta, es crucial identificar

el origen del problema, ya sea de tipo dentario, dentoalveolar o esquelético. El tratamiento puede incluir diversas estrategias, desde el uso de aparatos ortodónticos hasta procedimientos más específicos dependiendo de la severidad del caso y la etapa de desarrollo del paciente.3 Este problema vertical puede hacer que los pacientes tengan tendencia a las alteraciones periodontales, funcionales y del correcto crecimiento de los maxilares. Está asociado a maloclusiones tipo II división 2 según la clasificación de Angle y a un patrón esquelético con una menor divergencia.4

Existen 2 tipos de causantes de esta maloclusión los inherentes (anatomía dental, estructura ósea, desarrollo condilar y alteración oclusal), y los factores adquiridos, producidos por conducta muscular, falta de dientes de soporte en la zona anterior, patrón de presión lateral lingual y la modificación de la línea media dental. La corrección de estos factores, es más favorable en pacientes en crecimiento.5

Las mordidas profundas esqueléticas se caracterizan por tener un patrón de crecimiento horizontal, discrepancia en el crecimiento de los huesos de la

mandíbula, tienen bases de la mandíbula convergentes, una disminución de la altura de las ramas y la altura facial anterior suele ser corta, con mayor frecuencia en el tercio inferior de la cara.6 Pueden presentar mal alineamiento en el que los incisivos superiores sobrepasan en exceso los inferiores, debido a una erupción excesiva de los incisivos o a una falta de contacto entre los dientes posteriores. En muchos casos, están asociadas con una maloclusión de clase I o II, lo que puede provocar una retrusión de los dientes anteriores y una inclinación lingual de los incisivos inferiores. Además, estas mordidas profundas pueden llevar a la sobrecarga de las estructuras periodontales y complicaciones funcionales como el desgaste dental y problemas en la articulación temporomandibular (ATM).7

La extrusión de los dientes posteriores es clave en la corrección de la mordida profunda. Este proceso incrementa la altura facial inferior y ayuda a nivelar la sobremordida. Se utilizan arcos de extrusión y elásticos intermaxilares para aplicar las fuerzas necesarias. En pacientes jóvenes, el uso de planos de mordida facilita la extrusión pasiva, mientras que, en adultos, los

Lisa Aime Álvarez Del Águila. Silvia Fabiola Rodríguez Valdés. Alumno de segundo año de la Especialidad en Ortodoncia, en el Centro de Estudios Odontológicos y Clínica Especializada GNATHOS, Morelia, Michoacán, México. Salvador Iván Lemus Abrego. Ortodoncista, Ortopedista maxilar y Profesor del área laboratorio de ortodoncia, en el Centro de Estudios Odontológicos y Clínica Especializada GNATHOS, Morelia, Michoacán, México. Benjamín Alberto Lázaro Castillo. Maestría en Ciencias Odontológicas, Ortodoncista y Profesor del área de investigación del Centro de Estudios Odontológicos y Clínica Especializada GNATHOS, Morelia, Michoacán, México.

músculos elevadores hacen que la extrusión sea más complicada, afectando la estabilidad a largo plazo.8 Para la intrusión de los dientes anteriores, se enfoca en reducir el exceso de superposición vertical entre los dientes superiores e inferiores. El uso de microimplantes ha demostrado ser una opción efectiva para lograr un anclaje estable, permitiendo movimientos intrusivos controlados de los incisivos sin comprometer la estabilidad periodontal. Este tipo de anclaje es fundamental, ya que reduce los efectos adversos que pueden surgir de la intrusión, como la proinclinación no deseada de los dientes.9

Al corregir la mordida profunda mediante la intrusión de los dientes anteriores y la inclinación controlada y

Dentista y Paciente

aplicar fuerzas ligeras, facilitará el movimiento dental sin dañar el tejido periodontal.10 Uno de los aditamentos más usados en la filosofía bioprogresiva es el arco utilitario construido a partir de un alambre de Elgiloy azul de 0.016 x 0.016- pulgadas, colocado en un slot 0.018 x 0.030 pulgadas con fuerza de aproximadamente 80 gm.11

Tweed, describió el uso de un arco único continuo con una curva de Spee inversa que engancho todos los dientes maxilares o mandibulares con el fin de corregir la sobremordida profunda, extruyendo dientes posteriores e intruyendo incisivos.12

El arco utilitario fue introducido por el Dr. Ricketts, se puede utilizar en dentición mixta y permanente. En sus inicios fue diseñado para nivelar la curva de Spee, pero con el paso del tiempo se incorporaron dobleces, y se le fue dando más funciones, como la intrusión. Dicho arco solo compromete a

Referencias

los primeros molares permanentes y a los 4 incisivos.13

Objetivo

Eliminar la mordida profunda y mantener la clase molar I, en un paciente en crecimiento.

Metodología

Paciente de 12 años de edad, sexo masculino, sin datos patológicos ni odontológicos acude a consulta con su madre, al Centro de Estudios Odontológicos y Clínica Especializada Gnathos, Morelia, Michoacán, ya que la madre notó que se acrecentó el problema detectado desde un inicio en una primera cita realizada cuando tenía 8 años, donde se realizaron estudios de gabinete, así como su diagnóstico, pero no aceptaron el tratamiento en ese momento. Se realizó historia clínica, autorizaron su consentimiento informado y se procedió a su valoración clínica.

1. Cardoso, M. A., Martínez, J. M., Molina, N., & Hernández, J. A. (2016). Efectos de la ortopedia funcional de los maxilares sobre las dimensiones de los arcos dentales en pacientes con mordida profunda en dentición primaria. Revista Estomatología, 18-23.

2. Hernández-Pando, C., & Cabaña, M. (2023). Manejo de los 3 planos del espacio en ortodoncia. Odontólogos de hoy. Obtenido en: https://www.odontologosdehoy.com/manejo-de-los-3-planos-del-espacio-en-ortodoncia/

Tratamiento de mordida profunda, con arco utilitario, en paciente en crecimiento

3. Ascunce, A. M. (2014). Etiología, diagnóstico y plan de tratamiento de la mordida profunda - Revisión de la literatura. Revista Latinoamericana de Ortodoncia y Odontopediatría. Obtenido en: en: https://www.ortodoncia.ws/publicaciones/2014/art-2/

4. Cruz, B. M., & Muñoz, C. E. (2012). Tratamiento Ortodóncico de mordidas profundas. Revista Facultad De Odontología Universidad De Antioquia, 158-173.

5. Daokar, S., & Agrawal, G. (2016). Deep Bite Its Etiology, Diagnosis and Mnagement: A Review. Journal of Orthodontics & Endodontics, 1-4.

6. Jain, N. (2021). Deep bite: its classification, etiology, clinical features, diagnosis & treatment modalities. International Journal of Health Sciences. 222-229.

7. Natera-Marcote, A. C., Gasca-Vargas, V., Rodríguez-Yáñez, E. E., & Casasa-Araujo, R. (2005). El tratamiento de la mordida profunda - Caso Clínico. Revista Latinoamericana de Ortodoncia y Odontopediatría. Obtenido en: https://www.ortodoncia.ws/publicaciones/2006/art-2/

8. Alsawaf-Hassan, D., & Rajah, N. (2023). Evaluation of efficacy of utility arch with inter-maxillary elastics for treatin skeletal deep bite with retroclined upper incisors in the mixed dentition: a clinical randomized controlled trial. The Angle Orthodontist. 93(3):296-305.

9. Zamudio-López Carlos, E., & Tavira-Fernández, S. (2014). Intrusión del segmento anterior superior con miniimplantes para eliminar la mordida profunda anterior en maloclusión clase II con compromiso periodontal. Reporte de caso. Revista Mexicana de Ortodoncia. Vol. 2 Núm. 2. 117-130.

10. Echarri-Lobiondo, P. (2003). Corrección de la mordida profunda anterior y de la mordida abierta anterior con técnica en arcos dobles y con brackets vestibulares o linguales. Sociedad española de Ortodoncia y Ortopedia Dentofacial. 1-12.

11. Bello, A. (2013). Filosofía bioprogresiva de Rickkets como tratamiento efectivo de las maloclusiones. Universidad de Carabobo.

12. Machado, A. N., & Villavicencio-Caparó, E. (2022). Terapéutica parala correción de mordida profunda con intrusión en el sector anterior. Revisión de la literatura. Revista KIRU, 28-35.

13. Gregoret, J., Tuber, E., Escobar, H. (2015). Tratamiento ortodóncico con arco recto. Amolca. 215-230.

14. McNamara, J. A., Baccetti, T., Franchi, L., & Herberger, T. A. (2003). Treatment effects produced by the Twin-block appliance and the acrylic splint Herbst appliance: A prospective study. American Journal of Orthodontics and Dentofacial Orthopedics, 163-170.

15. Kyung-Bo, K., Seung-Hak, B., & Jong-Yun, C. (2015). Correction of deep overbite and mandibular anterior crowding using a utility arch. American Journal of Orthodontics and Dentofacial Orthopedics., 375-383.

16. Uribe, F. L., Janakiraman, N., & Nanda, R. (2016). Biomechanics in clinical orthodontics. . The Journal of Clinical Orthodontics, 231-238.

17. Tulloch, J. F., Proffit, W. R., & Phillips, C. (2005). Influences on the outcome of early treatment for Class II malocclusion. American Journal of Orthodontics and Dentofacial Orthopedics., 292-302.

18. Nanda, R. (2007). Correction of deep overbite in adults. Seminars in Orthodontics., 115-122.

Riesgo de pérdida de dientes con cuidado periodontal de apoyo

Colocación inmediata de implantes en la zona estética maxilar

Antecedentes

La colocación inmediata de implantes junto con la provisionalización inmediata (PI) es una opción preferida por los pacientes que requieren la sustitución de dientes, especialmente en la zona estética, ya que es menos invasiva y permite restaurar la función y la estética en menor tiempo. Sin embargo, para lograr resultados óptimos es necesario considerar factores como la estabilidad primaria del implante, la estabilidad de los tejidos blandos, la preservación del hueso periimplantario y la satisfacción del paciente.

Una planificación quirúrgica meticulosa es fundamental para lograr la estabilidad primaria, lo cual representa un desafío en esta técnica debido al compromiso óseo limitado. La estabilidad de los tejidos blandos puede mejorarse mediante la provisionalización inmediata —en lugar de una provisionalización diferida (PD)—, ya que esta ayuda a sostener los tejidos blandos

y a reducir el riesgo de recesión de la mucosa en la zona mediofacial y de las papilas adyacentes.

Tras la extracción dental, cierto grado de remodelado óseo es inevitable. Por ello, es esencial conservar la mayor cantidad posible de hueso periimplantario, y existen múltiples técnicas dirigidas a este propósito.

A pesar de la popularidad de esta técnica, existen pocos estudios prospectivos a largo plazo que comparen la colocación inmediata de implantes con PI frente a PD, y son aún más escasos aquellos con seguimientos de 5 años o más.

Objetivo

El objetivo de este estudio fue comparar los niveles óseos marginales de implantes colocados inmediatamente en la zona estética del maxilar, con provisionalización inmediata o diferida, tras 10 años de función.

Materiales y métodos

• Se llevó a cabo un ensayo aleatorizado con un seguimiento de 10 años sobre 40 restauraciones unitarias soportadas por implantes en sitios postextracción en la zona estética del maxilar, en el Centro Médico Universitario de Groningen, Países Bajos.

• Criterios de inclusión: pacientes sistémicamente sanos, edad mínima de 18 años, no fumadores, sin evidencia de bruxismo ni periodontitis en los sitios tratados ni en los adyacentes.

• Asignación aleatoria a los grupos de provisionalización inmediata (PI, n = 20) o provisionalización diferida (PD, n = 20).

• Se realizó una extracción atraumática seguida de injerto con una mezcla 1:1 de hueso bovino anorgánico y hueso autógeno antes de la colocación del implante. El grupo PI no fue sometido a cirugía adicional; en el grupo PD se colocó un tornillo de

Autores: Vincent Donker, Gerry Raghoebar, Kirsten Slagter, Diederik Hentenaar, Arjan Vissink, Henny Meijer

Figure: Representative clinical cases of immediate implant placement with immediate provisionalisation (a) and delayed provisionalisation (b), both at the maxillary right central incisor, after 10 years in function

• La influencia del defecto óseo vertical preoperatorio en la tabla vestibular sobre el cambio medio en el GOV se analizó mediante análisis de covarianza (ANCOVA).

Resultados

Table: Radiographic marginal bone level change (in mm) (mean values with SD) from implant placement (baseline, T1) to 1 month (T2) and 10 years (T3) after placing the definitive restoration

Outcome

MBL change

Mesial ofimplant

Distalofimplant

Figura. Casos clínicos representativos de colocación inmediata de implantes con provisionalización inmediata (a) y provisionalización diferida (b), ambos en el incisivo central superior derecho, tras 10 años en función.

cobertura y se realizó un cierre primario con injerto gingival libre obtenido del paladar.

Abbreviations: DP, delayed provisionalisation;IP, immediate provisionalisation; MBL, marginal bone level.

aOne-way analysisof variance (ANOVA).

The 10-year follow-up included 18 participants in the IP group and 16 in the DP group.

• Minor changes were noted in MBL from T1-T3 in both groups.

• Implant survival was 100% in both groups at T3. Restoration survival: 88.9% in IP group (n=2 veneer fracture), 87.5% in DP (n=1 veneer fracture and n=1 abutment fracture).

• Restoration success: 77.8% in the IP group and 75.0% in the DP group were successful after 10 years in function in accordance with the modified United States Public Health Service (USPHS) criteria.

• Probing pocket depth remained stable, with low plaque and bleeding indices among all participants in both groups over the 10 years.

• The respectve prevalence of peri-implant mucositis was 38.9% and 35.7% and of peri-implantitis 0.0% and 6.3% in the IP and DP groups.

Limitations

• Ambos grupos recibieron restauraciones provisionales fabricadas en laboratorio, a base de composite y montadas sobre pilares de titanio. En el grupo PI, la restauración provisional se colocó dentro de las 6 horas posteriores a la cirugía; en el grupo PD, a los 3 meses. La fase provisional duró 3 meses, tras los cuales se colocó una restauración definitiva con recubrimiento cerámico sobre un pilar personalizado de zirconia.

• El seguimiento a 10 años incluyó a 18 participantes en el grupo de provisionalización inmediata (IP) y a 16 en el grupo de provisionalización diferida (DP).

• Se observaron cambios menores en el nivel óseo marginal (MBL) entre T1 y T3 en ambos grupos.

• La supervivencia de los implantes fue del 100% en ambos grupos en T3.

There was no significant difference between the two groups at T3 in relation to the pink aestethic score and white aesthetic score outcomes, and across both groups only one implant displayed an insufficient amount (≤2mm) of keratinised tissue width.

• At baseline, the mean defect size was 3.4±1.2mm in the IP group and 4.2±1.1mm in the DP group. The difference was statistically significant, but there was no statistically significant mean change in BBT from T0 to T3.

• In three of the six cone beam computed tomography (CBCT) sagittal cross-sections, the BBT was statistically significantly lower in the DP group than in the IP group.

• Supervivencia de las restauraciones: 88.9% en el grupo IP (n=2 fracturas de carilla) y 87.5% en el grupo DP (n=1 fractura de carilla y n=1 fractura de pilar).

• Patient-reported outcome measures (PROMs) were scored highly.

• In summary: except for BBT, there were no statistically significant differences between the two groups in all primary and secondary outcomes after 10 years.

• The lack of observed difference in MBL between groups may have resulted from insufficient participants, as only 18 IP and 16 DP participants were assessed after 10 years.

• The free gingival graft that was used only in the DP protocol is likely to contribute less mid-facial recession.

• El desenlace primario fue el cambio en el nivel óseo marginal (NOM) proximal al implante. Los desenlaces secundarios fueron la supervivencia del implante, la supervivencia y el éxito de la restauración, el estado de los tejidos periimplantarios, los cambios a nivel de mucosa, los índices estéticos, los cambios en el grosor óseo vestibular (GOV) y la satisfacción del paciente.

• The restorative and endodontic condition of adjacent teeth throughout the 10-year follow-up was not mentioned, which may influence the mesial and distal marginal bone levels. Scattering from the dental implant on the CBCT may reduce the accuracy of the buccal bone thickness measured.

• Reasons for restoration fracture were not mentioned, and the mesial and distal marginal bone levels can be affected by implant overload during function.

• PROMs may have been affected by the smile line and by the type of interim restoration in the DP group, neither of which were mentioned in the study.

Digest

June

is a

Conclusions & impact

• Éxito de las restauraciones: el 77.8% de las del grupo IP y el 75.0% de las del grupo DP fueron exitosas tras 10 años de función, de acuerdo con los criterios modificados del United States Public Health Service (USPHS).

• The paper suggests that no statistically significant differences can be detected in marginal bone levels for both treatment groups (immediate or delayed provisionalisation) in a 10-year follow-up period.

• Las diferencias de medias en variables continuas entre grupos se analizaron mediante análisis de varianza (ANOVA). Para variables categóricas se utilizaron la prueba de chi-cuadrado y la prueba exacta de Fisher. Las diferencias de medianas entre grupos se analizaron con la prueba U de Mann-Whitney.

• La profundidad de sondaje se mantuvo estable, con índices bajos de placa y sangrado en todos los participantes de ambos grupos a lo largo de los 10 años.

• The prevalence of peri-implant mucositis and peri-implantitis were similar after immediate implant placement with both immediate and delayed provisionalisation.

• Aesthetic outcomes were similar in both groups.

• La prevalencia respectiva de mucositis periimplantaria fue de 38.9% en el grupo IP y 35.7% en el DP, mientras que la periimplantitis fue de 0.0% y 6.3%, respectivamente.

• Patient satisfaction in both the groups was high.

• No se encontraron diferencias estadísticamente significativas entre ambos grupos en T3 en cuanto a los

"Immediate implant placement with immediate or delayed provisionalisation in the maxillary aesthetic zone: A 10-year randomized trial". J Clin Periodontol. 2024: 51(06):722-732. DOI: 10.1111/jcpe13971 https://www.onlinelibrary.wiley.com/doi/10.1111/jcpe.13971

Access through EFP members’ page log-in: http://efp.org/members/jcp.php

Riesgo de pérdida de dientes con cuidado periodontal de apoyo

Abreviaciones:

DP: provisionalización diferida; IP: provisionalización inmediata; MBL: nivel óseo marginal.

¹Análisis de varianza unidireccional (ANOVA).

resultados del pink aesthetic score y del white aesthetic score. En ambos grupos, solo un implante presentó una cantidad insuficiente (≤2 mm) de tejido queratinizado.

• Al inicio, el tamaño medio del defecto fue de 3.4 ± 1.2 mm en el grupo IP y de 4.2 ± 1.1 mm en el grupo DP. Esta diferencia fue estadísticamente significativa, pero no hubo un cambio medio significativo en el grosor óseo bucal (BBT) de T0 a T3.

• En 3 de las 6 secciones sagitales de tomografía computarizada con haz cónico (CBCT), el BBT fue significativamente menor en el grupo DP que en el grupo IP.

• Las medidas de resultado informadas por los pacientes (PROMs) obtuvieron puntuaciones altas.

• En resumen: excepto por el BBT, no se observaron diferencias estadísticamente significativas entre ambos grupos en ninguno de los resultados primarios ni secundarios tras 10 años de seguimiento.

Limitaciones

• La ausencia de diferencias observadas en el nivel óseo marginal (MBL)

entre los grupos podría deberse a un número insuficiente de participantes, ya que solo se evaluaron 18 del grupo IP y 16 del grupo DP después de 10 años.

• El injerto gingival libre, utilizado solo en el protocolo DP, probablemente contribuyó a una menor recesión en la zona media facial.

• No se mencionó el estado restaurador ni endodóntico de los dientes adyacentes durante el seguimiento de 10 años, lo que podría influir en los niveles óseos marginales mesial y distal.

• La dispersión de la imagen generada por el implante dental en la CBCT puede reducir la precisión de la medición del grosor óseo bucal.

• No se especificaron los motivos de fractura de las restauraciones, y los niveles óseos marginales mesial y distal pueden verse afectados por una sobrecarga del implante durante la función.

• Las medidas de resultado informadas por los pacientes (PROMs) podrían haberse visto influenciadas por la línea de la sonrisa y el tipo de restauración provisional empleada en el grupo DP, aspectos que no fueron abordados en el estudio.

Tabla. Cambio radiográfico del nivel óseo marginal (en mm) (valores medios con desviación estándar) desde la colocación del implante (línea base, T1) hasta 1 mes (T2) y 10 años (T3) después de colocar la restauración definitiva.

Resultado
T1-T2
T1-T3
Grupo IP Grupo DP Valor P1
Grupo IP Grupo DP Valor P1
Cambio en el nivel óseo marginal (MBL)

Conclusiones e impacto

• El estudio sugiere que no se detectaron diferencias estadísticamente significativas en los niveles óseos marginales entre los 2 grupos de tratamiento (provisionalización inmediata o diferida) tras un seguimiento de 10 años.

• La prevalencia de mucositis periimplantaria y periimplantitis fue similar en ambos grupos tras la colocación inmediata del implante con provisionalización inmediata o diferida.

• Los resultados estéticos fueron similares en ambos grupos.

• La satisfacción de los pacientes fue alta en ambos grupos.

Notas

JCP Digest 126 es un resumen del artículo "Immediate implant placement with immediate or delayed provisionalisation in the maxillary aesthetic zone: A 10-year randomized trial". J Clin Periodontol. 2024: 51(06):722-732. DOI: 10.1111/jcpe13971.

https://www.onlinelibrary.wiley.com/doi/10.1111/jcpe.13971

Acceso a través de la página web para miembros de la EFP http://efp.org/members/jcp.php

Con el amable permiso de Wiley Online Library. Copyright © 1999-2024 John Wiley & Sons, Inc. Todos los derechos reservados. JCP Digest es una publicació de la Federación Europea de Periodoncia (EFP). Oficina EFP: Cink Coworking, oficina 17, calle Henri Dunant 15-17, 28036 Madrid, España · www.efp.org

Turn static files into dynamic content formats.

Create a flipbook
Issuu converts static files into: digital portfolios, online yearbooks, online catalogs, digital photo albums and more. Sign up and create your flipbook.