Revista Dentista y Paciente 204 | Agosto 2025

Page 1


BOLETÍN

Puntualmente estéril

PUNTO DE VISTA

Lesiones traumáticas atendidas en el Servicio de Urgencias del Hospital Magdalena de las Salinas del IMSS

CALIDAD Y DIRECCIÓN

Calidad de vida relacionada a caries dental e hipomineralización incisivo molar en niños escolares a nivel mundial: Una revisión sistemática

ENCICLOPEDIA

ODONTOLÓGICA

Técnica de oseodensificación en protocolo quirúrgico de elevación sinusal transcrestal para colocación de implante dental endoóseo

INVESTIGACIÓN CLÍNICA

Hiperplasia gingival farmacoinducida en paciente sistémicamente comprometido

SONRIENDO AL FUTURO

Corrección de mordida abierta anterior en paciente clase II con deglución atípica

Si la toma radiográfica es con un E qu ip o PORTÁTIL SIN DISPARADOR REMOTO, CO L ÓQ UES E MAND IL , GU ANT ES Y COLLAR TIROIDEO EMPLOMADOS, ya que sin protecciones las Dosis de Radiación pueden rebasar en más de TRES VECES lo que indican las Normas Establecidas de Seguridad Radiológica.

Si la Seguridad Radiológica, como Operador de un equipo de Rayos-X Intra-oral es algo que desconoce o no le ha preocupado, tome sus precauciones para que la Radiación Ionizante no llegue a generar con el tiempo Daños Estocásticos y Acumulativos en su organismo.

Como llevar a cabo una toma radiográfica en condiciones de seguridad con Equipos de RX

Intra-orales TRADICIONALES, de piso o pared:

Antes de activar el Equipo, colóquese a DOS metros de distancia del RX y del Paciente, fuera del haz principal de radiación, o active el Equipo con disparador remoto. NU NC A so st eng a la Fuent e G e ner a dora e n sus m a no s. NUNCA sostenga en sus manos la película o el sensor digital en la cavidad oral del paciente.

La información pro porci ona d a es cor t esí a de

Agosto 2025

Continúan los contagios tanto de sarampión como de tosferina, pero también se reportan casos de viruela símica.

El Sol de México reportó el pasado 28 de junio un incremento sostenido en los casos de sarampión en México; reportan 31 nuevos casos en el país. La Secretaría de Salud confirma que hasta el momento se tiene un total de 9 defunciones asociadas a esta enfermedad.

También reporta que los casos de viruela símica aumentan en país, y la Ciudad de México ocupa el primer lugar en contagios. En lo que va de 2025, el país registra 320 pacientes con la enfermedad; de los cuales, solamente 4 son mujeres. En lo que va del año, en México se tiene un total de 320 casos de viruela símica, también conocida como viruela del mono, según datos del Boletín Epidemiológico de la Secretaría de Salud. Esta cifra es 10 veces superior a la registrada en el mismo periodo de 2024, cuando solo eran 30.

Por otro lado, el 18 de junio de 2025, unotv.com informó que la Organización Mundial de la Salud (OMS) reportó el pasado mes de mayo un aumento en los casos de COVID-19 en varias regiones del mundo, impulsado por la aparición de una nueva variante denominada NB.1.8.1 o “Nimbus”. Sin embargo, en China y Estados Unidos informan de un nuevo síntoma descrito como un dolor agudo en la garganta, que describen como “tener navajas en la garganta”, aunque no se presenta en todos los casos.

En cuanto a la tosferina, en Ciencia UNAM se informó que esta enfermedad afecta principalmente a los niños. En menores de dos meses, los ataques de tos pueden agotarlos y terminan requiriendo apoyo ventilatorio, sobre todo porque aún tienen un sistema respiratorio e inmunológico que no ha desarrollado todas las condiciones y resistencias que tiene un adulto.

¡A seguirse cuidando!

Mtro. Carlos Adolfo Espinosa García Especialidad en Odontología Legal y Forense Maestría en Odontología

10 | BOLETÍN

Puntualmente estéril

14 | PUNTO DE VISTA

Lesiones traumáticas atendidas en el Servicio de Urgencias del Hospital Magdalena de las Salinas del IMSS

Editorial Renascence S.A. de C.V.

22 | CALIDAD Y DIRECCIÓN

Calidad de vida relacionada a caries dental e hipomineralización incisivo molar en niños escolares a nivel mundial: Una revisión sistemática

28 | ENCICLOPEDIA ODONTOLÓGICA

Técnica de oseodensificación en protocolo quirúrgico de elevación sinusal transcrestal para colocación de implante dental endoóseo

Fundador

Jaime Francisco Martínez Aceves†

Directora General

María Guadalupe Patricia López de Martínez patricia.lopez@dentistaypaciente.com

Directora Editorial

Mariangel Martínez López mmartinez@dentistaypaciente.com

Director de Arte y Diseño

Jesús Salas Pérez jesasez@dentistaypaciente.com

Coordinador Editorial

Marco A. Vergara Salgado marversa@dentistaypaciente.com

Ejecutivos Comerciales y de Negocios

Carlos Martínez García, Gabriela Dolores Ocadiz, Edson Aarón Hernández

Producción y Circulación

Edson Aarón Hernández

Fotografía e Ilustraciones

Editorial Renascence

Suscripciones

Edson Aarón Hernández

Preprensa e Impresión

MV IMPRESIONES

Distribución

MV IMPRESIONES, Av. Acueducto #9 Col. Quiahuatla, Alcaldia Tláhuac, C.P. 13090, CDMX

Contabilidad y Administración

L. C. y E. F. Renato Muñoz

director científico

Dr. Carlos Espinosa García

Especialista en Odontología Legal y Forense

consejo editorial

Dr. Carlos Espinosa García

Especialista en Odontología Legal y Forense

Javier Portilla Robertson

Exdirector de la Facultad de Odontología de la UNAM

Especialista en Patología Bucal

Marco A. Vergara Salgado

C.D.E.O. Arturo Alvarado Rossano†

Profesor y Especialista en Ortodoncia y Ortopedia Craneofacial en la Facultad de Odontología. UNAM. Asesor Académico y Coordinador de Difusión de la AMOCOAC.

C.D. Manuel García Luna y González Rubio

Dra. Ana Gabriela Carrillo Varguez

Coordinadora de la especialidad en endodoncia UABC Tijuana. Coordinadora de Investigación y Posgrado F.O. UABC

M.C. Ernestina Santillana Marín

Subdirectora de CISALUD UABC

William James Maloney, D.D.S. Clinical Associate Professor New York University

universidad anáhuac méxico norte

C.D. Carlos Robles Bonilla Coordinador de la Licenciatura de Cirujano Dentista

C.D. Sergio Antonio Ojeda León Profesor Titular de Odontopediatría de la Licenciatura de Cirujano Dentista

C.D. Bernardo Grobeisen Weingersz Profesor Titular de Clínica Integral de la Licenciatura de Cirujano Dentista

C.D. Norma Ibañez Mancera. Profesora Titular de Patología Bucal de la Licenciatura de Cirujano Dentista

Dirección del Derecho de Autor certificado de reserva al uso exclusivo no. 04-2008022718312200-102 con fecha 27 de Marzo del 2008. Gobernación de la H. Comisión Calificadora de Publicaciones y Revistas Ilustradas, certificado de licitud de contenido 5328, certificado de licitud de título 7411, franqueo pagado, publicación mensual permiso no. PP09-02106, SEPOMEX. Las opiniones expresadas en los artículos y en los anuncios publicados no significan de ninguna manera juicios, criterios, ideas o cualquier otro concepto por parte de la editorial; reflejan únicamente las ideas y pensamientos de sus autores. Los artículos, entrevistas, resúmenes, publirreportajes, fotografías y cualquier otro material son exclusivos de la editorial, y no se autoriza la reproducción total o parcial por ningún medio sin previa autorización del editor. Para cualquier asunto relacionado con suscripción, distribución, comercialización, anuncios, contenido u otro propósito, favor de dirigirse a la editorial. Impreso en MV IMPRESIONES, SA DE CV.

Dentista y Paciente® Publicación mensual correspondiente al mes de AGOSTO DE 2025. editada por Editorial Renascence S.A. de C.V., Rancho Jigüingo 29, Prado Coapa, Ciudad de México, 14350. tel. 56846632, fax 56793656. Distribuida en locales cerrados, depósitos dentales, universidades, congresos y exposiciones. Editora responsable: Mariangel Martínez López. Fotoarte de portada: Editorial Renascence.

distribución certificada por el padrón nacional de medios impresos de la dirección general de medios impresos de la secretaría de gobernación no. 007-136. www.gobernacion.gob.mx

42 | INVESTIGACIÓN CLÍNICA

Hiperplasia gingival farmacoinducida en paciente sistémicamente comprometido: reporte de un caso.

54 | SONRIENDO AL FUTURO

Corrección de mordida abierta anterior en paciente clase II con deglución atípica. Caso clínico.

Puntualmente estéril

Coordinador de Educación Lorma

Puntualmente Estéril

A lo largo de estas líneas hemos explorado los primeros pasos del proceso de esterilización, tanto por calor seco como por vapor húmedo, además de revisar datos relevantes sobre cada método. Pero hoy es momento de abordar un tema delicado —y muchas veces incómodo— la praxis real en el manejo del instrumental, desde su condición contaminada hasta que se considera estéril.

En redes sociales es común encontrar recomendaciones sin fundamento, basadas más en opiniones personales que en evidencia técnica. Por eso, estimado lector, te invito a recorrer conmigo algunas prácticas que suelen pasarse por alto, desmentir mitos y revisar errores comunes que pueden comprometer la seguridad del paciente y la eficacia de nuestros procesos.

Limpieza: donde todo comienza

Cuando pensamos en limpiar el instrumental, lo primero que se nos viene a la mente es tallarlo, sumergirlo en una tina, aplicar un detergente enzimático… pero hay algo más importante que eso: ¿dónde estamos haciendo la limpieza? ¿Contamos con un lugar adecuado?

Uno de los principales errores es no tener una estación de limpieza y desinfección adecuada. Si este espacio está expuesto a corrientes de aire (ventanas, pasillos, aire acondicionado) o se encuentra en una zona de paso

constante, estamos abriendo la puerta a la contaminación cruzada.

El aire transporta microorganismos, y si el instrumental queda expuesto tras el lavado, el esfuerzo inicial se pierde: lo que parecía limpio puede volverse nuevamente un riesgo. Por ello, la zona debe estar restringida, tanto para evitar exposición ambiental como para limitar el tránsito de personas. Recordemos: no dejaríamos nuestros instrumentos quirúrgicos en la cocina o en la sala de espera. Cada equipo debe tener un lugar específico: el lavamanos, la tina, el área de secado y, por supuesto, el esterilizador. La improvisación no es una opción. Una estación organizada y delimitada es parte esencial de una esterilización responsable.

Un punto clave que gana cada vez más relevancia es el tipo de agua utilizada para el lavado. El uso de agua “pesada” por su carga de minerales disueltos o con alto contenido de metales pesados puede formar una barrera que reduce la eficacia del desinfectante, así como depósitos sobre el instrumental. Por eso, el uso de agua suavizada o tratada es más que solo buena práctica.

Inspección: honestidad frente al instrumental

Aunque suele parecer un paso sencillo, la inspección del instrumental exige atención, conciencia y, sobre todo, honestidad. Este paso es crucial para detectar cualquier residuo visible: sangre seca, restos orgánicos o manchas. Ante cualquier indicio, el

instrumental debe ser reprocesado, sin excepciones. Ignorarlo puede derivar en manchas naranjas o residuos que invalidan el ciclo de esterilización.

Otro punto esencial es verificar que el área de secado y lubricación no represente un riesgo de contaminación cruzada La superficie de trabajo debe mantenerse limpia y desinfectada, lo mismo que el paño donde se coloca el instrumental. Además, hay que evitar corrientes de aire o el contacto innecesario con terceros durante esta etapa. El instrumental que no pasa esta inspección no está listo para ser esterilizado, y omitir este paso puede no solo poner en riesgo el equipo, sino la confianza de los pacientes.

Durante la esterilización: donde todo cuenta

Llegamos al punto más crítico del proceso. En esta etapa no solo se consolidan los pasos anteriores, sino que cualquier error previo —o nuevo— puede comprometer el resultado. Estos errores se pueden clasificar en 2 grandes grupos: De insumos y de proceso

Errores relacionados con insumos

Uso inadecuado del agua: El agua con alta carga mineral puede dejar residuos o incluso dañar el instrumental por corrosión. Por otro lado, el uso de agua excesivamente pura también puede generar efectos abrasivos. Además, se recomienda recolectar el agua expulsada por el autoclave para su correcto manejo, ya que puede contener contaminantes no aptos para el desecho directo.

Mal manejo de cintas testigo: Las cintas testigo indican exposición al proceso, pero no garantizan esterilidad Además, deben usarse según el tipo de esterilizador y mantenerse lejos de fuentes que puedan alterarlas, como calor, humedad o contaminación ambiental.

Falta de indicadores químicos y biológicos adecuados: Se recomienda el uso de indicadores químicos de clase 5, que ofrecen mayor fiabilidad. Para validar el proceso de forma segura, los indicadores biológicos son esenciales. Pueden manejarse en el consultorio con un kit e incubadora, o enviarse periódicamente a un laboratorio. Es importante seguir el protocolo con rigor para evitar falsos positivos o resultados inválidos.

Errores relacionados con el proceso

Cargas mal colocadas o saturadas: No se deben sobrellenar bolsas ni apilar el instrumental de forma que impida la penetración del agente esterilizante. Esto puede generar zonas frías dentro de la carga que no se esterilizan correctamente.

Uso incorrecto de materiales de empaque: Si se reemplazan bolsas por papel, este debe ser papel de grado quirúrgico. Su diseño permite el paso del vapor esterilizante, pero bloquea el ingreso de microorganismos. Idealmente, los materiales deben cumplir normativas internacionales como la ISO 11607-1, que regula los sistemas de barrera estéril y sus requisitos.

Falta de mantenimiento del esterilizador: Independientemente del tipo de equipo, debe mantenerse en óptimas condiciones. Así como no conduciríamos un auto sin frenos, no deberíamos usar un esterilizador sin revisiones periódicas. Se recomienda realizar mantenimiento al menos una vez al año, junto con limpieza interna según las instrucciones del fabricante.

Resguardo de la carga estéril: el paso olvidado

El instrumental, aunque técnicamente estéril, puede volver a contaminarse si no se almacena de manera correcta y con criterio. Un error común es pensar que el instrumental recién esterilizado es inmune al ambiente. En realidad, este es el momento en que más cuidado requiere. Si se va a almacenar, debe hacerse en condiciones controladas, lejos de corrientes de aire, humedad o áreas de tránsito constante. En la mayoría de los consultorios, no es posible asegurar espacios completamente estériles por tiempo prolongado, así que lo ideal es utilizar el instrumental en el menor tiempo posible tras su esterilización.

Si se almacena, es clave contar con contenedores o gabinetes cerrados, ventilados y desinfectados con frecuencia, y asegurarse de que las barreras de empaque no hayan sido comprometidas.

Conclusión

Como bien dice el dicho: “el diablo está en los detalles”. Y en esterilización, cada detalle cuenta. La constancia, la disciplina y el orden en cada etapa definen la seguridad del paciente y el éxito clínico. Es momento de observar con atención cómo funciona el ecosistema de nuestro consultorio: ¿Las áreas están bien delimitadas? ¿Los procesos están documentados? ¿Los materiales que usamos están avalados por normativa? No se trata solo de estética, se trata de la salud de los pacientes, de confianza profesional y de responsabilidad ética.

Es fundamental actualizarnos constantemente con fuentes confiables: manuales de organismos internacionales, normativas nacionales e internacionales y literatura técnica respaldada. Más allá de redes sociales o consejos improvisados, la esterilización exige evidencia, método y compromiso.

• https://wfhss.com/

• https://www.iso.org/standard/70799.html

• https://dof.gob.mx/nota_detalle.php?codigo=5732885&fecha=09/07/2024#gsc.tab=0

Lesiones traumáticas atendidas en el Servicio de Urgencias del Hospital Magdalena de las Salinas del IMSS

Lesiones traumáticas atendidas en el Servicio de Urgencias del Hospital “Magdalena de las Salinas” del IMSS

CMF José Luis Cadena Anguiano*

CMF Álvaro Albarrán Becerril*

CMF Víctor Tadeo Alva González*

M en ISS Roberto Gómez García**

*Hospital de Traumatología y Ortopedia “Dr. Victorio de la Fuente Narváez”, IMSS

** Seguros Centauro Salud Especializada

Los traumatismos por accidentes y violencia constituyen una causa frecuente de atención en los servicios de urgencias hospitalarias en todo el mundo, con importantes repercusiones en la salud y la economía de las personas, las familias y la comunidad. Por ello, sin duda deben ser considerados un problema de salud pública.¹

En su presentación influyen diversos determinantes sociales, como el estilo de vida, el lugar de residencia, las actividades laborales y deportivas, el consumo de bebidas alcohólicas y/o drogas, así como el estatus socioeconómico y las características ambientales.²–¹²

Los traumatismos pueden ocasionar lesiones en tejidos blandos, como

hematomas, heridas, contusiones y laceraciones; en articulaciones, como fracturas, luxaciones y avulsiones; y en huesos, en sus diversas modalidades. La mayor incidencia corresponde a lesiones que combinan varias de estas situaciones de manera simultánea, por lo que se requieren equipos de trabajo sólidos e integrados, con la participación de especialistas en traumatología, neurología, otorrinolaringología, oftalmología, cirugía plástica y cirugía maxilofacial, además de enfermeras generales y especialistas, profesionistas y técnicos en laboratorio e imagenología, camilleros, personal administrativo, entre otros, cuya labor es frecuentemente soslayada.

Zandi,¹³ Lee¹⁴ y Allaready¹⁵ reportan que, entre las fracturas faciales, las de mayor incidencia son las nasales, seguidas de las mandibulares en

sus distintos subtipos. Estas últimas ocupan el primer lugar en los estudios de Martínez,¹⁶ Montamedi¹⁷ y Raposo,¹⁸ realizados en hospitales donde las fracturas nasales son atendidas por especialistas en otorrinolaringología.

En cuanto a las fracturas mandibulares, existe disenso respecto a su localización más frecuente. Bonavolontà¹⁹ reporta una mayor incidencia en el cóndilo, mientras que De Andrade,²⁰ Simsek²¹ y Ortiz²² encontraron mayor frecuencia a nivel del ángulo mandibular.

Con el fin de contribuir al estudio epidemiológico de las fracturas faciales, los autores analizaron su incidencia en un hospital de concentración ubicado al norte de la Ciudad de México.

Metodología

Se realizó un estudio retrospectivo, transversal y descriptivo sobre las fracturas faciales registradas en el Servicio de Urgencias del Hospital Dr. Victorio

de la Fuente Narváez, conocido como “Magdalena de las Salinas”, del Instituto Mexicano del Seguro Social (IMSS), en la Ciudad de México, durante el año 2016.

Se consideraron los registros de los especialistas en Cirugía Maxilofacial responsables de la valoración, atención y/o referencia de la totalidad de estas lesiones. Por ello, se incluyeron las fracturas nasales, que en otras unidades suelen ser valoradas por especialistas en otorrinolaringología. Se excluyeron las fracturas del hueso frontal, ya que, de acuerdo con los protocolos de atención del IMSS, estas son atendidas en primera instancia por el Servicio de Neurología, debido al posible compromiso neurológico que pueden implicar.

Resultados

Entre el 1 de enero y el 31 de diciembre de 2016, se atendieron 892 pacientes con diagnóstico de traumatismo

Figura 1. Grupos de edad.

Lesiones traumáticas atendidas en el Servicio de Urgencias del Hospital “Magdalena de las Salinas” del IMSS

2. Incidencias por mes, 2016

1. Causas de las fracturas

Se consideraron

Figura
Tabla

Punto de vista

Tabla 2. Fracturas por tipo y subtipo

facial: 185 mujeres y 707 hombres, lo que arroja una tasa de masculinidad de 3.82.

La edad de los pacientes atendidos osciló entre 1 y 95 años, con una mayor incidencia en el grupo de 21 a 30 años (Figura 1), que acumuló 296 casos: 39 mujeres y 257 hombres. Este grupo representó el 33.2% del total, con una tasa de masculinidad de 6.59.

La edad específica con mayor incidencia fue de 23 años, con 37 varones y 4 mujeres afectados, lo que se traduce en un riesgo relativo de 9.25 entre hombres respecto a mujeres en ese grupo etario.

Por mes, el mayor número de pacientes se presentó en octubre (118), seguido de septiembre (112); en conjunto, ese bimestre concentró el 25.8 % del total de atenciones. Si se suman los casos de noviembre y diciembre, el acumulado alcanza el 45.0 % del total (Figura 2).

Al analizar las causas, la más frecuente fue la agresión por otra persona, seguida del accidente automovilístico y la caída desde su propia altura; en conjunto, estas 3 causas representaron el 89.1 % de los casos (Tabla 1).

Varios pacientes presentaban más de una fractura, por lo que el total de estas lesiones ascendió a 1 168, con la incidencia y frecuencias relativas que se muestran en la tabla siguiente (Tabla 2).

Discusión

El presente estudio confirma los reportes epidemiológicos nacionales e internacionales que identifican a los hombres entre 20 y 30 años como la población con mayor riesgo de sufrir fracturas faciales, generalmente como consecuencia de violencia o accidentes. Sin embargo, a diferencia de otros estudios, este trabajo encuentra como tercera causa más frecuente la caída desde su propia altura. Esta diferencia podría explicarse por la subdeclaración deliberada de las verdaderas circunstancias del traumatismo, ya que algunos pacientes prefieren ocultar agresiones con el fin de proteger a los responsables y evitar así las implicaciones legales correspondientes.

Asimismo, se corrobora el orden de frecuencia en los tipos de fracturas faciales, siendo las nasales las más comunes, seguidas de las mandibulares en sus distintos sitios anatómicos y, en tercer lugar, las fracturas orbitarias.

Como se mencionó al inicio, las lesiones faciales pueden presentarse en diversas combinaciones, determinadas por múltiples factores. Por ello, su incidencia es particular en cada unidad médica, aunque se mantienen ciertas tendencias generales, como las descritas en este artículo.

Referencias

1. Alberdi, García y cois. Epidemiología del trauma grave. Medicina Intensiva, diciembre 2014, https://www.medintensiva.org/es-epidemiologia-del-trauma-grave-articulo-S0210569114001806

2. Fuertes, L. F., Mala, A. C., & López, E. A. Análisis epidemiológico de trauma maxilofacial en Nariño, Colombia. CES Odontología, 2010; 23(2).

3. Pérez Rodríguez, A., Gámez Rodríguez, M. F., Díaz Fernández, J. M., & Robert Ramos, J.. Epidemiología del trauma maxilofacial por accidente ciclístico. Revista Cubana de Estomatología, 2004; 41(3), 0-0.

4. Rojas, R. A., Julián, G., & Lankin, J. . Fracturas mandibulares: Experiencia en un hospital de trauma. Revista médica de Chile, 2002; 130(5), 537-543.

5. Hogg, N. J., Stewart, T. C., Armstrong, J. E., & Girotti, M. J. . Epidemiology of maxillofacial injuries at trauma hospitals in Ontario, Canada, between 1992 and 1997. Journal of Trauma and Acute Care Surgery, 2000; 49(3), 425-432.

6. Erdmann, D., Follmar, K. E., DeBruijn, M., Bruno, A. D., Jung, S. H., Edelman, D., ... & Marcus, J. R. A retrospective analysis of facial fracture etiologies. Annals of plastic surgery, 2008; 60(4), 398-403.

7. Munante-Cárdenas, J. L., Olate, S., Asprino, L., de Albergaria Barbosa, J. R., de Moraes, M., & Moreira, R. W. Pattern and treatment of facial trauma in pediatric and adolescent patients. Journal of Craniofacial Surgery, 2011;22(4), 1251-1255.

8. Lim, L. H., Lam, L. K., Moore, M. H., Trott, J. A., & David, D. J. Associated injuries in facial fractures: review of 839 patients. British journal of plastic surgery, 1993; 46(8), 635-638.

9. Hwang, K., & You, S. H. .Analysis of facial bone fractures: An 11-year study of 2,094 patients. Indian journal of plastic surgery: Official publication of the Association of Plastic surgeons of India, 2010; 43(1), 42.

10. Medina-Solis, C. E., Córdova-González, J. L., Casanova-Rosado, A. J., & Zazueta-Hernández, M. A. Fracturas maxilofaciales y factores asociados en derechohabientes del IMSS Campeche, México: Análisis retrospectivo 1994-1999. Gaceta médica de México, 204; 140(1), 27-32.

Lesiones traumáticas atendidas en el Servicio de Urgencias del Hospital “Magdalena de las Salinas” del IMSS

11. Morales-Olivera, J. M., Hernández-Ordoñez, R., & Pacheco-López, R.. Estudio epidemiológico del trauma facial en el Servicio de Cirugía Plástica y Reconstructiva del Hospital General «Dr. Rubén Leñero» en la Ciudad de México. Incidencia de 5 años. Cirugía Plástica, 2017;26(3), 119-124.

12. Sierra-Martínez, E., Cienfuegos-Monroy, R., & Fernández-Sobrino, G.. OsiriX, visor DICOM útil para procesar imágenes tomográficas de fracturas faciales. Medicina Interna de México, 2009; 25(2).

13. Zandi, M., Khayati, A., Lamei, A., & Zarei, H.. Maxillofacial injuries in western Iran: a prospective study. Oral and maxillofacial surgery, 2011; 15(4), 201-209.

14. Lee, J. H., Cho, B. K., & Park, W. J.. A 4-year retrospective study of facial fractures on Jeju, Korea. Journal of Cranio-Maxillofacial Surgery, 2010; 38(3), 192-196.

15. Allareddy, V., Allareddy, V., & Nalliah, R. P.Epidemiology of facial fracture injuries. Journal of Oral and Maxillofacial Surgery, 2011; 69(10), 2613-2618.j

16. Martínez, C., Ramírez, E., Marmolejo, L. Á., & León, M. (2011). Fracturas maxilofaciales atendidas en el hospital de San Juan de Dios de Cali, Revista Estomatol, 2013; 11:2-8

17. Motamedi, M. H. K. An assessment of maxillofacial fractures: a 5-year study of 237 patients. Journal of Oral and Maxillofacial Surgery, 2003; 61(1), 61-64.

18. Raposo, A., Preisler, G., Salinas, F., Muñoz, C., & Monsalves, M. J. .Epidemiología de las fracturas maxilofaciales tratadas quirúrgicamente en Valdivia, Chile: 5 años de revisión. Revista Española de Cirugía Oral y Maxilofacial, 2013; 35(1), 18-22.

19. Bonavolontà, P., Orabona, G. D. A., Abbate, V., Vaira, L. A., Faro, C. L., Petrocelli, M., ... & Califano, L. (2017). The epidemiological analysis of maxillofacial fractures in Italy: The experience of a single tertiary center with 1720 patients. Journal of Cranio-Maxillofacial Surgery. 2017; 1- 8

20. De Andrade Lins, C., Ferreira da Silva, C., Góes Santos, M., De Santana Santos, T., & Martins Santos, M. A. Estudio epidemiológico de 300 casos de trauma facial en el hospital universitario del sergipe (HUSE), Brasil. Acta Odontol Venez, 2001; 49(1).

21. Simsek, S., Simsek, B., Abubaker, A. O., & Laskin, D. M. .A comparative study of mandibular fractures in the United States and Turkey. International journal of oral and maxillofacial surgery, 2007; 36(5), 395-

22. Ortiz, G., Arango, J. C., Giraldo, C., Ramírez, D., & Uribe, J. C. Análisis Retrospectivo de historias clínicas de pacientes intervenidos por Cirugía Maxilofacial en el Hospital General de Medellín. CES Odontología, 2007; 20(2), 17-21

Objetivo: Sintetizar la evidencia disponible sobre la calidad de vida relacionada con la salud bucal en niños escolares, incluyendo la percepción del bienestar oral de los niños que padecen de caries dental e hipomineralización de incisivo molar.

Material y métodos: Revisión sistemática de la literatura (RS), sobre “Calidad de vida relacionada a caries dental e hipomineralización incisivo molar en niños escolares a nivel mundial” siendo un estudio observacional, retrospectivo.

Resultados: Se obtuvieron 8 artículos en la cual la mayoría de los niños revisados clínicamente con HIM fueron del sexo masculino y femenino con respecto a la calidad de vida los cuestionarios arrojaron un puntaje en donde se utilizó el CPQ y la media de resultados en el continente Europeo fue de 13.37, en el continente de Asia/ Europa se usó el cuestionario POQL y la media de resultados fue del 15.10 y en el continente americano (América Latina) se usó también el cuestionario CPQ y la media de resultados fue del 2.74. Por otro lado, los cuestionarios que se realizaron a los niños revisados clínicamente con caries dental fueron de igual manera del sexo tanto masculino como femenino y para determinar

Calidad de vida relacionada a caries dental e hipomineralización incisivo molar

Sarah Jolette Jacobo Flores, Jocelyn Araceli

Lara Montaño, Karla Verónica López Martínez Luna-Santiago Esbeyde Lizbeth*

Licenciatura en Odontología, Escuela Nacional de Estudios Superiores Unidad León, Universidad Nacional Autónoma de México, 37684, Guanajuato, México.

Corresponding Author: *Esbeyde Lizbeth Luna Santiago. esbe_ydelun@hotmail.com.

la calidad de vida, se usó el cuestionario CPQ en el continente europeo, la media de resultados fue del 11.84, en el continente asiático se hizo el cuestionario Hi-ECOHIS y se obtuvo una media de 7.02 y finalmente, en el continente americano, específicamente en américa latina se usó el cuestionario SOC y CPQ , donde la media de resultados fue del 45.7 y 16.1 respectivamente.

Conclusión: Se destaca que estas condiciones no solo afectan la salud física, sino también el bienestar emocional y social de los individuos. La vergüenza asociada con los problemas dentales puede limitar la socialización y disminuir la autoestima y la confianza en sí mismos de los niños. Es crucial reconocer la importancia de la prevención y el tratamiento temprano de la HIM y la caries dental para mejorar la calidad de vida de las personas. Se recomienda implementar medidas preventivas en la salud oral y garantizar el acceso a la atención odontológica desde una edad temprana como estrategias clave para abordar estos problemas de manera efectiva.

Palabras clave: caries dental, hipomineralización incisivo molar, salud oral, calidad de vida, niños escolares.

La Organización Mundial de la Salud (OMS) define la calidad de vida como “la percepción que tiene una persona sobre su posición en la vida dentro del contexto cultural y el sistema de valores en el que vive y con respecto a sus metas, expectativas, estándares y preocupaciones”.¹

La calidad de vida relacionada con la salud oral es un concepto moderno que incorpora la percepción de una persona sobre su salud bucal, junto con la evaluación clínica odontológica realizada.2

La OMS definió la salud bucal como “la ausencia de dolor orofacial crónico, cáncer de boca o garganta, llagas bucales, defectos congénitos como labio-paladar hendido, enfermedades periodontales, caries dental y pérdida de dientes, y otras enfermedades y trastornos que afectan a la boca y la cavidad bucal”.3

La salud oral desempeña un papel muy importante en nuestro bienestar en general ya que la salud oral no solo afecta nuestra capacidad de comer y hablar, sino que también tiene ciertas repercusiones en la autoestima, el cómo nos relacionamos socialmente e incluso en el rendimiento académico. En la infancia, la salud oral contribuye a una adecuada alimentación y esto influye en el crecimiento y el óptimo desarrollo físico de los niños. Por otro lado, también influye en la comunicación y la autoexpresión y ciertos problemas dentales como caries pueden

perjudicar la pronunciación y la confianza al hablar lo que podría afectar en las participaciones sociales y académicas. Respecto al rendimiento académico y la salud bucal también es un aspecto que no debe pasarse por alto, ya que el malestar y el dolor dental pueden distraer a los niños durante las clases, afectando su concentración y su rendimiento escolar. Por lo que la prevención y tratamiento es esencial para garantizar un entorno adecuado para el aprendizaje.4

Algunas de las enfermedades que pueden afectar más la calidad de vida de los niños en edad escolar es la caries dental y la hipomineralización incisivo-molar (HIM).

De acuerdo con Giacaman, R. A., et al, la caries dental es una enfermedad no transmisible que está asociada a un desequilibrio de la biopelícula dental y causada por la exposición de azúcares, pero fuertemente vinculada al estilo de vida, principalmente relacionados con patrones alimentarios inadecuados.5

Según los datos a nivel internacional se tiene una prevalencia en Asia del 58.8%, en Europa 44.1%, en América un 48.9%, en África y en Australia 58.9%.6

Por otra parte, la hipomineralización incisivo-molar es una alteración cualitativa en la formación de la estructura del diente que puede producir la pérdida de grandes áreas de la estructura dental.7 Datos de a nivel internacional la HIM tiene una prevalencia del 14.2%. 8

Paciente/Problema/Población

Niños escolares de 6 a 12 años de acuerdo a la definición de la OMS No aplica

Niños afectados con caries y niños afectados con hipomineralización incisivo-molar.

Objetivo: Sintetizar la evidencia disponible sobre la calidad de vida relacionada con la salud bucal en niños escolares, incluyendo la percepción del bienestar oral de los niños que padecen de caries dental e hipomineralización incisivo-molar.

1. Materiales y métodos

Pregunta de investigación

¿Cuál es el impacto de la caries dental y la hipomineralización incisivo-molar (HIM) en la calidad de vida de los niños escolares en diferentes regiones del mundo? (Tabla 1).

Criterios de elegibilidad:

Criterios de Inclusión

• Niños escolares de 6 a 12 años.

• Artículos que hayan sido publicados en los últimos 5 años.

• Idioma inglés y español.

• Artículos en texto completo.

• Enfermedades como la caries dental y la hipomineralización incisivo-molar.

Criterios de Exclusión

• Niños preescolares y adolescentes

• Artículos que hayan sido publicados en los últimos 6 o más años.

Salud bucal relacionada con la calidad de vida (Cuestionarios disponibles). Transversal

• Cualquier otro idioma que no sea inglés o español.

• Artículos de texto incompleto.

• Cualquier otra enfermedad que no sea caries e hipomineralización incisivo-molar.

• Artículos de revisiones sistemáticas.

• Casos clínicos.

Estrategia de búsqueda: Para la elaboración de esta revisión sistemática, los datos disponibles sobre los factores que influyen la calidad de vida relacionada con la salud oral en niños escolares fueron recopilados de diferentes bases de datos electrónicas, las cuales fueron las siguientes: Web of Science, Scielo, Science Direct, PubMed y Medline. Y se realizó de acuerdo con las recomendaciones PRISMA para revisiones sistemáticas (27), durante los meses de febrero-abril 2024. La búsqueda electrónica se realizó en dichas bases de datos con las siguientes palabras y el uso del término boleano “AND” haciendo las siguientes combinaciones: “quality of life AND oral health”, AND “children from 6 to 11 years”, "quality of life" AND "child" AND “dental health”, "dental hygiene" AND "child" AND "6 to 12 years old", "calidad de vida" AND "niños escolares" AND “salud oral”, "Quality of life in children" AND "Oral health", "Quality of life in children" AND "Oral health", “Oral health” AND “Quality of life

Tabla 1. Acrónimos PICOS.

Calidad y dirección

in primary school children”, la estrategia de búsqueda se realizó empleando los acrónimos PICOs.

Evaluación de la calidad metodológica:

La calidad metodológica de los estudios fue evaluada utilizando la herramienta de evaluación GRADE (Grading of Recommendations Assessment, Development and Evaluation). La escala GRADE ofrece un método sistemático

para evaluar la calidad de la evidencia y la fuerza de las recomendaciones en la investigación médica. Esta herramienta se fundamenta en una serie de criterios predefinidos que consideran el diseño del estudio, los resultados, la aleatorización, el método de aleatorización, la concordancia y la presencia de sesgo, entre otros aspectos relevantes. Cada artículo fue evaluado según estos criterios, asignándole una calificación de riesgo alto, medio y bajo.

Referencias

1. Lemus N, Parrado R, Quintana G. Calidad de vida en el sistema de salud. Rev Colomb Reumatol. 2014;21(1):1–3. doi:10.1016/s0121-8123(14)70140-9.

2. Diaz-Reissner CV, Casas-García I, Roldán-Merino J. Calidad de Vida Relacionada con Salud Oral: Impacto de Diversas Situaciones Clínicas Odontológicas y Factores Socio-Demográficos. Revisión de la Literatura. Int J Odontostomatol. 2017;11(1):31–9. doi:10.4067/s0718381x2017000100005.

3. Oral health. [Internet]. Who.int. Recuperado el 2 de marzo de 2024, de https://www.who.int/ health-topics/oral-health.

4. Mansoori S, Mehta A, Ansari MI. Factors associated with Oral Health Related Quality of Life of children with severe Early Childhood Caries. J Oral Biol Craniofac Res. 2019;9(3):222–5. doi:10.1016/j.jobcr.2019.05.005.

5. Giacaman RA, Fernández CE, Muñoz-Sandoval C, León S, García-Manríquez N, Echeverría C, Valdés S, Castro RJ, Gambetta-Tessini K. Understanding dental caries as a non-communicable and behavioral disease: Management implications. Front Oral Health. 2022;3. doi:10.3389/ froh.2022.764479.

Calidad de vida relacionada a caries dental e hipomineralización incisivo molar

6. Kazeminia M, Abdi A, Shohaimi S, Jalali R, Vaisi-Raygani A, Salari N, Mohammadi M. Dental caries in primary and permanent teeth in children worldwide, 1995 to 2019: a systematic review and meta-analysis. Head Face Med. 2020;16(1). doi:10.1186/s13005-020-00237-z.

7. Bonilla SGP, Arias A. Severidad de hipomineralización incisivo molar (HIM) y su relación con caries dental en niños. Metro Ciencia. 2020;28(4):42-51. doi:10.47464/metrociencia/ vol28/4/2020/42-51.

8. Zhao D, Dong B, Yu D, Ren Q, Sun Y. The prevalence of molar incisor hypomineralization: evidence from 70 studies. Int J Paediatr Dent. 2018;28(2):170–9. doi:10.1111/ipd.12323.

9. Michaelis L, Ebel M, Bekes K, Klode C, Hirsch CR. Influence of caries and molar incisor hypomineralization on oral health-related quality of life in children. Clin Oral Investig. 2021;25(9):520516. doi:10.1007/s00784-021-03828-5.

10. Reissenberger T, Ebel M, Klode C, Hirsch CR, Bekes K. Hypomineralized Teeth and Their Impact on Oral-Health-Related Quality of Life in Primary School Children. Int J Environ Res Public Health. 2022;19(16):10409. doi:10.3390/ijerph191610409.

11. Joshi T, Rahman A, Rienhoff S, Rienhoff J, Stamm T, Bekes K. Impact of molar incisor hypomineralization on oral health-related quality of life in 8–10-year-old children. Clin Oral Investig. 2021;26(2):1753-9. doi:10.1007/s00784-021-04150-w.

12. Ribeiro Junior CA, Vettore MV, Rebelo Vieira JM, de Queiroz Herkrath APC, de Queiroz AC, Pereira JV, Herkrath FJ, Rebelo MAB. Correction: The role of dental pain and psychosocial factors on the relationship between dental caries and oral health-related quality of life in children. BMC Oral Health. 2022;22(1). doi:10.1186/s12903-022-02541-3.

13. Kısacık Ş, Özşin-Özler C, Ölmez S. Molar incisor hypomineralization and oral health-related quality of life: a sample of 8–12-years-old children. Clin Oral Investig. 2024;28(1). doi:10.1007/ s00784-024-05490-z.

14. Altner S, Ebel M, Ritschl V, Stamm T, Hirsch CR, Bekes K. Treatment of Severe Caries and Molar Incisor Hypomineralization and Its Influence on Oral Health-Related Quality of Life in Children: A Comparative Study. Int J Environ Res Public Health. 2022;19(5):2983. doi:10.3390/ ijerph19052983.

15. Gutiérrez TV, Ortega CCB, Pérez NP, Pérez ÁG. Impact of Molar Incisor Hypomineralization on Oral Health-Related Quality of Life in Mexican Schoolchildren. J Clin Pediatr Dent. 2019;43(5):32430. doi:10.17796/1053-4625-43.5.4.

Técnica de oseodensificación en protocolo quirúrgico de elevación sinusal transcrestal para colocación de implante dental endoóseo

La oseodensificación constituye una técnica innovadora en cirugía implantológica, pues permite la optimización de los resultados en la colocación de implantes dentales y en procedimientos regenerativos como la elevación sinusal transcrestal.1 Este artículo presenta un caso clínico que ejemplifica su aplicación dentro del protocolo quirúrgico de elevación sinusal transcrestal para la colocación de un implante dental endoóseo. Su finalidad es evaluar la eficacia de la oseodensificación en la elevación sinusal transcrestal y osteotomía, para mejorar la estabilidad primaria y la integración ósea en la colocación de implantes dentales endoóseos. Paciente femenina de

Técnica de oseodensificación en protocolo quirúrgico de elevación sinusal transcrestal

Cirujano Dentista, Especialista en Implantología Oral Integral Moisés Eduardo Guzmán Lerma. Estudiante de la Maestría en Implantología Oral Integral. Universidad Westhill.

Doctora en Ciencias en Nanociencias y Nanotecnología Yoshamin Abnoba Moreno Vargas. Profesora de asignatura Facultad de Odontología, Universidad Nacional Autónoma de México.

Especialista en Periodoncia e Implantes Alfredo Rafael Donis Hernández. Profesor de asignatura. Facultad de Odontología. Universidad Westhill.

Autor de correspondencia: Moisés Eduardo Guzmán Lerma moyguzler@hotmail.com

Autor a quién se dirigirán las solicitudes de los sobretiros Moisés Eduardo Guzmán Lerma moyguzler@hotmail.com

Cuauhtémoc # 14. Col El Rosal, La Magdalena Contreras. CP. 10600. Facultad de odontología, Clínica de Implantología Oral Integral, Universidad Westhill, Ciudad de México. México

40 años acudió para la rehabilitación del sector posterior superior, pues presentaba un defecto vertical en el cuadrante superior derecho a la altura del primer molar, una altura óseorresidual de 3.5 mm y un tipo óseo III. Dadas las condiciones, se optó por la técnica de oseodensificación para la elevación del piso del seno maxilar y la preparación del lecho implantario. Entre los hallazgos descritos en los resultados se encontró una elevación sinusal de al menos 6 mm, evidenciada en las imágenes radiográficas intraoperartorias, que permitió la colocación de un implante de 5 mm de plataforma por 8 mm de longitud, ubicado 1 mm en posición subcrestal. Una tomografía

axial computarizada confirmó la situación del implante, así como la efectividad de la oseodensificación y la elevación del piso sinusal de 6 mm. la osteointegración del implante se completó sin necesidad de procedimientos quirúrgicos adicionales de mayor complejidad. Se concluye que la oseodensificación es una técnica eficaz y predecible para la osteotomía y la elevación sinusal transcrestal, favorece la estabilidad primaria del implante y constituye un procedimiento mínimamente invasivo.

Palabras clave: oseodensificación sinusal, implante endoóseo transcrestal.

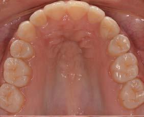
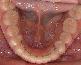
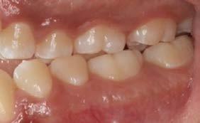
Figura 1. Fotografías intraorales: a) arcada superior, b) oclusión lateral derecho y c) oclusión central, d) oclusión lateral izquierdo y e) arcada inferior.

La oseodensificación (OD) es una técnica innovadora en la cirugía implantológica, pues mejora significativamente los resultados en la colocación de implantes dentales y en procedimientos regenerativos como la elevación sinusal transcrestal.1 Esta técnica se basa en el principio de compactar el hueso en lugar de sustraerlo durante el fresado, lo que incrementa la densidad ósea en áreas previamente comprometidas2 y favorece una mejor estabilidad primaria del implante. En el contexto de la elevación sinusal transcrestal, la OD proporciona una base ósea más firme para la colocación de implantes endoóseos, lo cual genera una mayor integración y reduce complicaciones.3

Al ser mínimamente invasivo, este enfoque presenta una serie de ventajas clínicas que incluyen tiempos de recuperación más cortos y una mayor preservación de la estructura ósea en comparación con técnicas

convencionales, como el fresado tradicional o la elevación sinusal lateral.4 Asimismo, la OD es particularmente útil en pacientes con hueso de baja calidad, quienes tradicionalmente enfrentan mayores desafíos en la colocación de implantes. No obstante, su éxito depende de varios factores, como la destreza del cirujano y la selección adecuada de pacientes, ya que en casos de atrofia ósea extrema, puede ser necesario combinarla con procedimientos más invasivos.5

La OD es una técnica innovadora que transformó los procedimientos de colocación de implantes dentales. Creada por Huwais en 2013, se basa en un enfoque biomecánico avanzado que no solo prepara el lecho óseo para la inserción del implante, sino que también aumenta la densidad ósea de manera eficaz6 y mejora la estabilidad y la integración del implante a largo plazo. A través de un proceso preciso y controlado, la OD utiliza fresas

densificadoras especiales, conocidas como fresas Densah™, que aplican un movimiento rotatorio y deslizante sobre el hueso para compactarlo sin causar una deformación significativa ni elevación de calor.4,5,6 Su principal beneficio es la densificación del hueso durante la osteotomía, lo que permite una mejor estabilidad primaria del implante, particularmente en zonas de baja densidad ósea como el maxilar posterior.7 La autocompactación obtenida mediante la OD preserva el tejido autólogo.8-12

Este enfoque influye directamente en la estabilidad primaria, así como en la oseointegración al optimizar la densidad tras el fresado.13-16 Se sabe que esta técnica también incrementa la calidad y cantidad de hueso disponible, un factor clave para el éxito tanto de

la estabilidad primaria como de la predictibilidad del implante a futuro.17-19

Por otra parte, la OD tiene efectos positivos al integrarse con otros procedimientos, como la elevación sinusal transcrestal, y ofrece una opción más segura y menos invasiva para los pacientes que requieren la colocación de implantes en zonas difíciles.20,21 Por ello, esta técnica representa una nueva era en la implantología dental, al proveer soluciones más efectivas y menos traumáticas para la colocación de implantes, lo que resulta en una recuperación más rápida y mejores resultados a largo plazo.22-24

Objetivo

Evaluar la eficacia de la técnica de oseodensificación como parte del protocolo

Figura 2. Planeación en tomografía axial computarizada: a) vista sagital, b) vista transversal, c) vista 360°, d) reconstrucción 3D y e) ortopantomografía.

quirúrgico de elevación sinusal transcrestal y osteotomía, para optimizar la estabilidad primaria y la integración ósea en la colocación de implantes dentales endoóseos, mediante medición del torque de inserción y comprobación radiográfica que muestre la elevación sinusal y el implante colocado en el sitio requerido. Rehabilitar la zona edéntula de la paciente para restaurar la función estética y masticatoria sin recurrir a procedimientos quirúrgicos invasivos.

Reporte del caso

Paciente femenina de 40 años acude a la consulta odontológica y expone problemas derivados de la ausencia del primer molar superior derecho. Presenta dolor en tejidos blandos por la masticación y en la articulación temporomandibular debido a que solo mastica del lado izquierdo, lo cual ocasiona fatiga muscular.

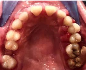
Al examen intraoral se observa arcada dental incompleta; con ausencia de órganos dentales 16 y 27 (Figura 1).

Planeación tomográfica

Se creó un mapeo óseo para evaluar las dimensiones de altura y anchura ósea disponibles para la colocación del implante dental y su posterior restauración protésica. El análisis reveló una cantidad reducida de tejido óseo en el piso del seno maxilar (3.61 mm), lo que condicionó la planificación del procedimiento. Para la rehabilitación implantológica, se requiere la colocación de un

implante de al menos 8 mm de altura por 5 mm de diámetro, con adecuado espacio vestíbulo-palatino e interoclusal. No obstante, luego de considerar la insuficiencia de volumen óseo en sentido vertical y el grado de neumatización del seno maxilar, se determinó que la colocación del implante mediante técnicas convencionales no era viable, por ello la necesidad de procedimientos de aumento óseo para lograr una rehabilitación adecuada (Figura 2).

Procedimiento quirúrgico:

Se llevó a cabo una técnica anestésica infiltrativa supraperióstica en el fondo del vestíbulo. Se realizó una incisión sulcular contorneante en los dientes adyacentes (15 y 17) sin necesidad de incisiones liberatrices.

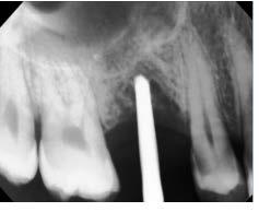
El protocolo de oseodensificación se ejecutó siguiendo una secuencia de fresado en sentido antihorario, salvo por la fresa piloto inicial, que operó en sentido horario a 1200 rpm, bajo abundante irrigación con solución fisiológica. Se inició el procedimiento con una fresa Versah de 2.5 mm de diámetro, hasta alcanzar una profundidad de 5 mm, seguida por una fresa de 3.0 mm hasta los 8 mm de profundidad. Posteriormente, se empleó una fresa de 3.2 mm hasta los 9 mm de profundidad para elevar la membrana sinusal en esta fase del protocolo.

En este punto, se aplicaron 5 cc de biomaterial sintético NovaBone en jeringa directamente en el lecho quirúrgico y se proyectaron mediante

ambiderm.com.mx

shop.ambiderm.com.mx

Carr. a Bosques de San Isidro
Isidro
Zapopan, Jalisco, México
Lada Sin Costo en la República Mexicana

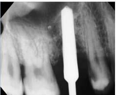
Figura 3. Protocolo de fresado quirúrgico: a) fresa piloto sentido horario, b) comprobación radiográfica, c) RX pin de paralelismo, d) fresa 2.3 sentido antihorario, e) comprobación radiografía periapical de posición y elevación del piso de seno, f) fresa 3.2 a 9mm con elevación evidente, g) verificación de profundidad con sonda del kit de implantes, h) colocación de injerto de hueso NovaBone, i) vista del hueso en el lecho quirúrgico j) fresa final diámetro 4.3, k) RX de comprobación de fresa 4.3 y l) RX de implante e injerto colocados.

fresado (fresa de 4.2 mm de diámetro) dentro del sitio preparado como indica el protocolo de fresado Versah. Gracias al diseño específico de las fresas, el biomaterial fue distribuido hacia las zonas superior y lateral del sitio quirúrgico para promover una adecuada condensación ósea y facilitar la colocación del implante en una posición subcrestal de 1 mm.

Entre cada cambio de fresa, se verificó radiográficamente la dirección y profundidad del fresado. Finalmente, se completó el protocolo con el uso de la fresa de 4.2 mm de diámetro hasta alcanzar una profundidad final de 9 mm. Se obtuvieron imágenes radiográficas que evidencian la correcta colocación del injerto en la elevación lograda (ver Figura 3).

Una vez colocado el implante de la marca Adin Closefit de 5 mm de diámetro × 8 mm de largo, se lavaron profusamente la zona periferia y el interior del implante con solución fisiológica estéril. Cuando se instaló el tornillo tapa

correspondiente, se evaluó la estabilidad primaria mediante la técnica de torque de inserción y una llave dinamométrica, instrumento diseñado para medir y controlar la fuerza aplicada durante la inserción del implante. Este parámetro refleja la resistencia y rigidez de la interfase hueso-implante: a mayor torque, mayor estabilidad primaria (Figura 4).

Se colocaron 3 puntos simples afrontando ambos bordes del colgajo y se retiraron 15 días después sin complicación

Figura 4. Comprobación de estabilidad inicial mediante torque de inserción: a) llave dinamométrica inserta el implante a su sitio final y b) acercamiento muestra torque de inserción de 100 N·cm.

alguna. 3 meses después se valoró con ortopantomografía (Figura 5).

Resultados

Se logró una elevación sinusal de 6 mm en el sitio destinado para la colocación del implante endoóseo. Se colocó injerto sintético en la zona elevada para implantar en una única sesión quirúrgica, y se obtuvo un torque final de 100 N•cm, lo que indicó una excelente estabilidad primaria. La rehabilitación protésica se realizó sin complicación alguna, mediante una corona atornillada metal-cerámica, 2 meses después de haber colocado el implante. La integridad de la restauración se mantuvo en óptimas condiciones durante el seguimiento clínico a 5 años de la rehabilitación.

Se observaron excelentes condiciones clínicas y radiológicas, entre las que destacan: reducción de la cresta ósea menor a 1 milímetro y ausencia

de movilidad y sintomatología. La restauración es plenamente funcional y estética; la paciente refiere estar muy satisfecha, lo cual representa un éxito, con base en artículos referentes a los criterios de éxito en implantes dentales.

La Figura 6 presenta una comparación entre el estado previo a la colocación del implante y el estado actual. Se observa que, a pesar de un notable deterioro en los dientes naturales adyacentes, existe integración y funcionalidad satisfactorias, además se evidencia el aumento de volumen óseo obtenido.

Discusión

La oseodensificación es una técnica innovadora en la cirugía implantológica, dado que optimiza la estabilidad primaria de los implantes y facilita procedimientos regenerativos como la elevación sinusal transcrestal. En el caso analizado, la aplicación de esta técnica

Figura 5. Ortopantomografía 3 meses después de colocado el implante. Se aprecia la elevación sinusal y el hueso injertado.

Técnica

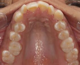
Figura 6. Fotografías y radiografías iniciales y actuales: a) fotografía intraoral arcada superior inicial, b) fotografía arcada superior, abril 2025, C) ortopantomografía octubre 2024 y d) radiografía periapical abril 2025.

permitió la colocación del implante sin necesidad de recurrir a procedimientos más invasivos, lo que evidencia su utilidad en sitios con altura ósea limitada. Los hallazgos intraoperatorios y postoperatorios presentados en este artículo corroboran la eficacia de la oseodensificación, debido a que la elevación sinusal alcanzada fue de 6 mm, lo que posibilitó la colocación de un implante de dimensiones adecuadas con estabilidad primaria óptima.

A pesar de los beneficios de la técnica, es fundamental considerar factores como la destreza del operador y

la selección adecuada de casos para maximizar los resultados y minimizar las posibles complicaciones. Por ello, es fundamental considerar los factores limitantes, tanto sistémicos como locales, que puedan influir en el tratamiento. Entre ellos se incluyen las condiciones generales del paciente; las características del sitio receptor, como la calidad y cantidad ósea disponible; así como la técnica quirúrgica seleccionada y la experiencia del operador. Estos elementos son especialmente relevantes en procedimientos avanzados, como la elevación sinusal por vía lateral o transcrestal, los cuales exigen un abordaje cuidadoso y personalizado para garantizar el éxito clínico.27

Estudios previos, como los de Huwais & Meyer (2017) y Trisi et al. (2016), demuestran que esta técnica no solo aumenta la densidad ósea, sino que también contribuye a la expansión del tejido óseo y favorece la osteointegración a largo plazo.29 La capacidad de compactación ósea observada en este caso clínico es consistente con los resultados obtenidos en estudios experimentales, ya que el torque de inserción resultante de la OD y del injerto de hueso fue de 100 N·cm. Debido a que el mínimo en N·cm es de 35 para obtener una buena estabilidad primaria; se evidenció un aumento del volumen óseo notablemente visible en las radiografías del caso y en la TAC presentada.

Múltiples estudios documentan excelentes resultados al utilizar la OD:

brinda un aumento significativo en la altura del tejido óseo alveolar si se aplica en implantes mediatos o inmediatos, ya que el aumento óseo está relacionado al desplazamiento apical del piso del seno maxilar, por lo que La reabsorción ósea periimplantaria dirigida al sentido vertical no es representativa entre el antes y después de la realización de la técnica.28

Conclusiones

Los resultados obtenidos a corto y largo plazo confirman que la técnica de oseodensificación integrada en el protocolo quirúrgico de elevación sinusal transcrestal y osteotomía resulta eficaz para optimizar la estabilidad primaria del implante y favorecer una oseointegración exitosa. Estos resultados son consistentes siempre que se realice una adecuada evaluación diagnóstica, documentación clínica y planificación quirúrgica del caso, lo cual permite aprovechar al máximo las ventajas biomecánicas y biológicas que ofrece esta técnica. La presión ejercida por el implante al contactar con el hueso genera una relación íntima entre ambas estructuras y favorece la estabilidad primaria. Este efecto se potencializa por la oseodensificación, lo que contribuye a una mayor rigidez y resistencia en la interfase implante-hueso alveolar. En consecuencia, esta técnica representa una opción altamente efectiva tanto para el profesional, por su predictibilidad y buenos resultados clínicos, como para el paciente, gracias a la recuperación favorable y menor morbilidad.

Referencias

1. Huppert, M., & Schupbach, P. (2016). Osteodensification in Implant Dentistry: A New Technique for Improving Implant Stability. Journal of Implantology, 42(5), 480-485.

2. Kohli, M., & Koo, H. (2015). The Role of Osteodensification in Sinus Lift and Implantology. Implant Dentistry, 24(6), 697-704.

3. Garcia P, Corona S, Valsecki A. Educación y motivación: I. Impacto programa preventivo con énfasis educación hábitos de higiene oral. Rev Odont UNESP Sao Paulo, Brazil 1998; 27: 393-403.

4. Borges YA, Maupomé CG, Martínez GM, Cervantes TL, Gutierrez RLM. Relación entre el estado de salud bucal y el consumo de alimentos energéticos y nutrimentos en ancianos de tres localidades en México. Nut Clin 2003; 6(1): 9-16.

5. De Almeida, E. O., Silva, E. M. M., Falcón Antenucci, R. M., & Freitas Júnior, A. C. (2007). Prótesis dental en el paciente anciano: aspectos relevantes. Revista Estomatológica Herediana, 17(2), 104-107. Universidad Peruana Cayetano Heredia, Lima, Perú.

6. GBD 2016 Disease and Injury Incidence and Prevalence Collaborators. Global, regional, and national incidence, prevalence, and years lived with disability for 328 diseases and injuries for 195 countries, 1990-2016: a systematic analysis for the Global Burden of Disease Study 2016. Lancet. 2017;390(10100):1211-1259.

7. Shokri, M. & Daraeighadikolaei, A. Measurement of primary and secondary stability of dental implants by resonance frequency analysis method in mandible. Int. J. Dent., 2013:506-568.

8. García del Real BM, Cárdenas Erosa RA, Peñaloza Cuevas R, Cortés Carrillo Dr, Lugo Ancona PE, Godoy Montañez CC, Cárdenas Vermont R, Alfaro Cárdenas JL, Comparación de estabilidad primaria y secundaria de implantes con diferente superficie con instrumento osstell. Rev. Odon. Latin. 9(2): 2017; 63-67.

9. Cárdenas Erosa RA, Cortés Carrillo D, Lugo Ancona PE. Relación de las unidades Hounsfield y newtons con la oseointegración y la carga inmediata. Rev. Odonto. Latin. 4(1): 2012; 15-20.

10. Densah Instrucciones de uso de las fresas Densah. México. https://versahinternational. com/es/versatilidad-clinica/protocolo-de-cirugia-guiada-con-oseodensificacion/

11. Alghamdi H, Anand PS, Anil S. Undersized implant site preparation to enhance primary implant stability in poor bone density: a prospective clinical study. J Oral Maxillo Surg. 2011; 69(12): 506-512

12. Trisi P, Berardini M, Falco A, Podaliri Vulpiani M. New osseodensification implant site preparation method to increase bone density in low-density bone. Impl Dent. 2016; 25: 24-31.

13. Alifarag AM, Lopez CD, Neiva RF, Tovar N, Witek L, Coelho PG. Temporal osseointegration: Early biomechanical stability through osseodensification. Journal of Orthopaedic Research. 2018; 36(9):2516-2523. DOI: 10.1002/jor.23893.

14. Buchter A, Kleinheinz J, Wiesmann HP, Kersken J, Nienkemper M, Weyhrother HV, et al. Biological and biomechanical evaluation of bone remodeling and implant stability after using an osteotome technique. Clin Oral Implants Res. 2005; 16:1-8

15. Umesh Y. Pai, Shobha J. Rodrigues, Karishma S Talreja, Mahesh Mundathaje. Osseodensification-A novel approach in implant dentistry. The Journal of Indian Prosthodontic Society. 18(3), July-September 2018: 196-00.

16. Lahens B, Lopez CD, Neiva RF, Bowers MM, Jimbo R, Bonfante EA, Morcos J. The effect of osseodensification drilling for endosteal implants with different surface treatments: A study in sheep. Journal of Biomedical Materials Research - Part B: Applied Biomaterials. 2018; 107(3):615-623. DOI: 10.1002/jbm.b.34154.

17. Alifarag AM, Lopez CD, Neiva RF, Tovar N, Witek L, Coelho PG. Temporal osseointegration: Early biomechanical stability through osseodensification. Journal of Orthopaedic Research. 2018; 36(9):2516-2523. DOI: 10.1002/jor.23893.

18. Atsumi M, Park SH, Wang HL. Methods used to assess implant stability: Current status. Int J Oral Maxillofac Implants 2007;22: 743–754.

19. Huwais S. Fluted osteotome and surgical method for use. US Patent Application US2013/0004918; 3 de enero de 2013. Disponible en Google Patents y Free Patents Online.

20. Kanathila H, Pangi A. An insight into the concept of osseodensification-enhancing the implant stability a success. J. Clin. Diag. Resea. 12(7): 2018: 01-03

21. Umesh Y. Pai, Rodrigues S, Talreja K, Mundathaje M. Osseodensification- anovel approach in implant dentistry. J. Ind. Prost. Soc. (19): 2018; 196-200.

22. Berardini M, Trisi P, Sinjari B, Rutjes AW, Caputi S. The effects of high insertion torque versus low insertion torque on marginal bone resorption and implant failure rates: A systematic review with meta-analyses. Implant Dent 2016;25:532- 40.

23. Huwais S. Autografting Osteotome. WO2014/077920. Ginebra, Suiza: World Intellectual Property Organization Publication; 2014. Disponible en Google Patents y WIPO.

24. Alexandre Gehrke S, Tavares da Silva U, Del Fabbro M. Does Implant Design Affect Implant Primary Stability? A Resonance Frequency Analysis–Based Randomized Split-Mouth Clinical Trial, J. Oral Implan. 41(6); 2015: 281-286.

25. Tian JH, Neiva R, Coelho PG, Witek L, Tovar NM, Lo IC, Gil LF, Torroni A. Alveolar ridge expansion: comparison of osseodensification and conventional osteotome techniques. J. Cranio. Surg. 30(2); 2019: 607-610

26. Huwais S, Meyer E. Osseodensification: A novel approach in implant osteotomy preparation to increase primary stability, bone mineral density and bone to implant contact. Int J Oral Maxillofac Implants 2016; 32:27-36.

Técnica de oseodensificación en protocolo quirúrgico de elevación sinusal transcrestal

27. Cisternas, C.S; Sanchez, V.M. & Brenner, A.C. Evaluación de cambios dimensionales en ancho y altura del reborde óseo alveolar mediante la Técnica de oseodensificación en zonas posteriores del maxilar. Reporte de serie de casos. Int. J. Odontostomat. 2023;17(1):55-63.

28. Trisi, P.; Berardini, M.; Falco, A. & Podaliri Vulpiani, M. New osseodensification implant site preparation method to increase bone density in low-density bone: in vivo evaluation in sheep. Implant Dent. 2016; 25(1):24-31.

29. Campos FE, Gomes JB, Marin C, Teixeira HS, Suzuki M, Witek L, et al. Effect of drilling dimension on implant placement torque and early osseointegration stages: An experimental study in dogs. J Oral Maxillofac Surg; 70: 2012; 43 -50.

30. Lahens B, Neiva RF, Tovar N, Alifarag AM, Jimbo R, Bonfante EA, Bowers MM, Freitas H, Witek L, Coelho PG. Biomechanical and histologic basis of osseodensification drilling for endosteal implant placement in low-density bone: An experimental study in sheep. Journal of the Mechanical Behavior of Biomedical Materials. 2016; 63:56-65. DOI: 10.1016/j. jmbbm.2016.06.017.

31. Cisternas-Covarrubias S, Sánchez-Varela M, Brenner-Agosín C. Evaluation of Dimensional Changes in Width and Height of the Alveolar Bone Ridge Using the Osseodensification Technique in Posterior Maxillary: Report of a Case Series. International Journal of Odontostomatology. 2023; 17(1):55-63. DOI: 10.4067/S0718-381X2023000100055.

Hiperplasia gingival farmacoinducida en paciente sistémicamente comprometido: reporte de un caso

Hiperplasia gingival farmacoinducida en paciente sistémicamente comprometido: reporte de un caso.

José Alberto Arroyo Arias. Cirujano Dentista de práctica privada.

María Esthela Ahumada, Laura Aida Chiw Avilés. Catedráticas de la Facultad de Ciencias de la Salud de la Universidad Autónoma de Baja California.

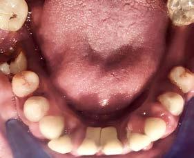
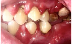
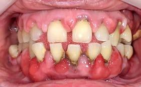
Introducción: Diversos factores locales y sistémicos, así como terapias farmacológicas tienden a tener repercusión en el estado de la cavidad oral. Una de tantas alteraciones de este tipo es la hiperplasia gingival farmacoinducida, su aparición se asocia principalmente a fármacos. Uno de ellos son los bloqueadores de canales de calcio (antihipertensivos), como el amlodipino. Descripción del caso: Paciente masculino de 45 años, acude a consulta dental, manifiesta tener dolor, sangrado e inflamación generalizada en las encías, en su historia clínica comenta ser hipertenso desde hace 8 años por lo que se encuentra bajo tratamiento farmacológico con bloqueadores de canales de calcio. Gracias a los hallazgos clínicos y radiográficos se le diagnostica periodontitis generalizada, estado IV, grado

C, por lo que se le ofrece un plan de tratamiento de rehabilitación oral. Conclusiones: Se ha comprobado que el amlodipino es el fármaco causante más común con la capacidad de inducir el desarrollo de una hiperplasia gingival. A pesar de no existir evidencia de que la destrucción de los tejidos de soporte sea una secuela de la hiperplasia gingival, la condición periodontal con ausencia de tratamiento puede empeorar la ya establecida y la infección se puede extender a otros órganos o sistemas de órganos, lo que es de vital importancia tratar de evitar en pacientes sistémicamente comprometidos y farmacodependientes.

Palabras clave: hiperplasia gingival, amlodipino, nifedipino, prótesis inmediata.

Diversos factores locales y sistémicos, así como terapias farmacológicas tienden a tener repercusión en el estado de la cavidad oral. Una de tantas alteraciones de este tipo es la hiperplasia gingival farmacoinducida que se define como un agrandamiento gingival al aumento exagerado y desfigurante del volumen de la encía, su aparición se asocia principalmente a fármacos.1

Hay 3 tipos de medicamentos que están íntimamente asociados con la aparición de una hiperplasia gingival: difenilhidantoína sódica, un anticonvulsivo utilizado para el tratamiento de la epilepsia; ciclosporina A, un inmunosupresor usado para impedir el rechazo de tejidos injertados y para el tratamiento de afecciones como la

psoriasis severa; y los bloqueadores de canales de calcio (antihipertensivos), como el nifedipino.

Las manifestaciones clínicas de las alteraciones gingivales inducidas por medicamentos son similares para los 3 tipos de medicamentos ya mencionados.2

Los signos clínicos tempranos más típicos incluyen cambios de forma y tamaño en la región de las papilas. A medida que el proceso se desarrolla, las papilas pueden agrandarse mucho y también puede resultar afectada la encía marginal y la adherida.

La excesiva retención de la placa bacteriana generada contribuye a la aparición de caries y al agravamiento de la enfermedad periodontal ya existente; todo ello influye negativamente sobre

Figura 1. Ortopantomografía.

el estado emocional y el bienestar psicológico del paciente.2,3

No se ha establecido el papel de la placa dental en la iniciación de la hiperplasia asociada con bloqueadores de los canales de calcio utilizados para tratar la hipertensión arterial. Sin embargo, es importante mencionar que para que ocurra una respuesta de agrandamiento gingival, además de estar asociada a la exposición del fármaco, es necesaria la existencia de

la biopelícula dental, es decir que la presencia de la biopelícula y la inflamación gingival son factores predisponentes para tomar en cuenta en la expresión del agrandamiento gingival inducido por fármacos bloqueadores de los canales de calcio.2,4

No existe evidencia de que la destrucción de los tejidos de soporte sea una secuela de la hiperplasia gingival. Sin embargo, la presencia latente de diversos factores de riesgo sistémicos,

Figura 2. Radiografías periapicales de órganos dentarios con posibilidad de mantenerse en boca.

como la diabetes o la misma hipertensión arterial acompañados de un deficiente control de placa dental en pacientes farmacodependientes, podría vincular la hiperplasia farmacoinducida y sobreponerla a una periodontitis preexistente.2

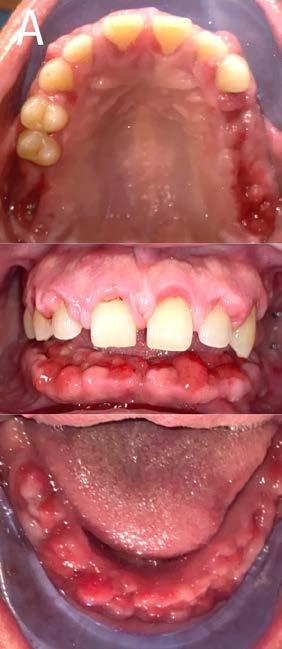
Descripción del caso

Paciente masculino de 45 años de edad, acude a consulta dental a la Clínica Integral de Ciencias de la Salud de la Universidad Autónoma de Baja California en la ciudad de Tijuana, manifiesta tener dolor, sangrado e inflamación generalizada en las encías, en su historia clínica comenta ser hipertenso desde

El tratamiento de la hiperplasia gingival inducida por medicamentos se realiza mediante la combinación de un régimen riguroso de higiene bucal, desbridamiento y resección quirúrgica (para los casos en que esté comprometida la estética, la función o la fonación). Después del tratamiento puede haber recurrencia, la cual es más probable en los pacientes con control de placa deficiente.2

El tratamiento de la hiperplasia gingival inducida por medicamentos se realiza mediante la combinación de un régimen riguroso de higiene bucal, desbridamiento y resección quirúrgica.

Figura 3. Fotografías intraorales.

hace 8 años por lo que toma 30 mg de nifedipino cada 12 horas, amlodipino 5 mg cada 24 horas, telmisartan 40 mg cada 12 horas y metropolol 100 mg cada 12 horas, además comenta padecer diabetes mellitus tipo II desde hace 7 años por lo que también toma 50 mg de metformina cada 12 horas y dapagliflozina 10 mg cada 24 horas. Clínicamente se observó una encía roja y sangrante, profundos sondeos, una notable hiperplasia gingival, depósitos de cálculo y movilidad dental grado III en todos los órganos dentarios a excepción del segundo premolar superior derecho al canino superior izquierdo, quienes presentaban una movilidad grado II. Radiográficamente se encontró una pérdida de inserción radiográfica avanzada generalizada

Figura 4. Raspado y alisado radicular de órganos dentarios con posibilidad de mantenerse en boca.

en la arcada inferior, y grupos molares de ambos cuadrantes superiores (Figura 1), los únicos órganos dentarios con posibilidad de preservación en boca a través de terapia periodontal se encontraron en el sector anterior de la arcada superior anteriormente mencionados con movilidad grado II

(Figura 2). Por lo que se diagnostica con periodontitis generalizada, estado IV, grado C (Figura 3).

Por lo anterior se decidió iniciar con instrucciones de higiene oral, raspado y alisado radicular en aquellos órganos dentarios que se mantendrían

Figura 5. Modelos de estudio, registro de mordida y bases y rodillos.
Figura 6. Prótesis inmediatas terminadas.

7. A) Extracción de órganos dentarios sin salvación. B) Legrado alveolar. C) Exéresis de tejido hiperplásico.

D) Sinéresis de los tejidos.

en función en boca (Figura 4) y planificar el tratamiento a través de un proceso protésico-quirúrgico, el cual consistiría en la elaboración de prótesis inmediatas, pues debido a la gran

destrucción de los tejidos de soporte de los dientes remanentes sería necesario realizar extracciones múltiples de aquellos órganos dentarios sin salvación, todo esto con la finalidad de

Figura 8. Prótesis inmediatas adaptadas a los rebordes alveolares residuales.

Figura

aportarle al paciente beneficios estéticos y psicológicos para eventualmente transicionar a una rehabilitación protésica definitiva.

Para la elaboración de las prótesis inmediatas se realizaron modelos de estudio de la boca del paciente, un registro de mordida con silicona de adición a base de polivinilsiloxano y se realizaron bases y rodillos en las zonas edéntulas que permitieran registrar la dimensión vertical en oclusión del paciente (Figura 5), posteriormente se envió el trabajo al laboratorio dental y se obtuvieron las prótesis inmediatas para ser insertadas durante la etapa quirúrgica (Figura 6).

Posteriormente se abordó la fase quirúrgica: se realizaron las extracciones de los órganos dentarios sin posibilidad de mantenerse en función en boca, se efectuó el legrado alveolar para retirar tejido infectado, además de realizar la exéresis del tejido hiperplásico, y regularización ósea para posteriormente producir la sinéresis de los tejidos a través de una sutura continua simple con sutura absorbible Vicryl 3-0 (Figura 7).

Concluida la intervención quirúrgica se efectuó la inserción de las prótesis inmediatas previamente fabricadas colocando acondicionador de tejidos Softy Autocurable NicTone al interior

Figura 9. A) Fotografías intraorales a la semana de la intervención quirúrgica. B) Fotografías intraorales a las 2 semanas de la intervención quirúrgica.

La destrucción de los tejidos de soporte no solo ocasiona la pérdida de dientes y hueso alveolar, la condición periodontal con ausencia de tratamiento puede empeorar la ya establecida y la infección se puede extender a otros órganos o sistemas de órganos, por lo que es de vital importancia tratar de evitar en pacientes sistémicamente comprometidos y farmacodependientes.

de ambas prótesis y adaptándolas a los rebordes alveolares residuales (Figura 8).

Finalmente se realizaron citas de control para retirar las suturas y supervisar la correcta cicatrización de los tejidos y readaptación de las prótesis inmediatas a la primera y segunda semana posteriores a la intervención quirúrgica (Figura 9). Se introdujo al paciente a un sistema de revisiones periódicas para evaluar las condiciones de los tejidos y eventualmente transicionar a una rehabilitación protésica definitiva.

Conclusiones

De los medicamentos utilizados para tratar la hipertensión arterial se ha

comprobado que el amlodipino es el fármaco causante más común con la capacidad de inducir el desarrollo de una hiperplasia gingival.1,3

En el caso presentado, el paciente estaba bajo tratamiento específico con amlodipino y nifedipino por indicación de su médico general, con la finalidad de tratar su condición hipertensiva, además presentaba ya una enfermedad periodontal no tratada, agravada e íntimamente relacionada con su condición sistémica, debido a que también padecía diabetes mellitus tipo II; la farmacoterapia con amlodipino indujo la hiperplasia gingival y consecuentemente, gracias a diversos factores como la higiene y sus enfermedades sistémicas, se acentuó la enfermedad periodontal inicial.

La destrucción de los tejidos de soporte no solo ocasiona la pérdida de dientes y hueso alveolar, la condición periodontal con ausencia de tratamiento puede empeorar la ya establecida y la infección se puede extender a otros órganos o sistemas de órganos, por lo que es de vital importancia tratar de evitar en pacientes sistémicamente comprometidos y farmacodependientes.3

Está demostrado que el aumento de la dosis del medicamento puede acrecentar la hiperplasia gingival, por lo que el medico puede examinar las opciones viables según la condición del paciente y evaluar la posibilidad de alterar la dosis, combinarla con otros fármacos o sustituirlo. Sin embargo, como

Hiperplasia gingival farmacoinducida en paciente sistémicamente comprometido: reporte de un caso.

en la mayoría de los casos en los que un paciente en vías de rehabilitación oral sufre de alguna condición sistémica, será necesario un trabajo sinérgico entre odontólogo y médico tanto para el diagnóstico, tratamiento y monitoreo de la enfermedad por el beneficio del paciente.3

Referencias

1. Bahamondes C., Godoy J. Hiperplasia gingival por ciclosporina: A propósito de un caso. Revista médica de Chile, [Internet]. 2007 [citado 13 abr 2023]. 135(3), 370-374. Disponible en: https:// www.scielo.cl/scielo.php?pid=S0034-98872007000300013&script=sci_arttext

2. Lindhe, Jan, Niklaus P. Lang, Thorkild K. Periodontología clínica e implantología odontológica. 4ª ed. Médica Panamericana; 2005.

3. Mirabal Y. Á., Carbonell L. O. M. Hiperplasia gingival inducida por amlodipino en paciente con periodontitis crónica. Presentación de un caso. MediCiego. [Internet]. 2016 [citado 13 abr 2023]. 23(1), 36-42. Disponible en: https://revmediciego.sld.cu/index.php/mediciego/article/view/689

4. Martinez Peraza, V., Romero Espinoza, K. A. Gingival enlargement due to Amlodipine: Case report. Research, Society and Development. [Internet]. 2021 [cited 2023 apr 13]. 10(7). Available from: https://rsdjournal.org/index.php/rsd/article/view/17051

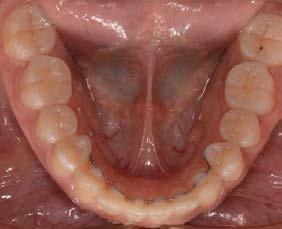
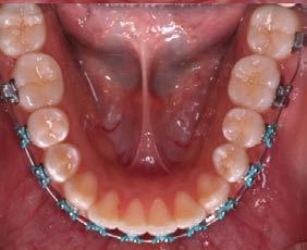
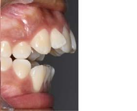
Corrección de mordida abierta anterior en paciente clase II con deglución atípica. Caso clínico

Corrección de mordida abierta anterior en paciente clase II con deglución atípica. Caso clínico.

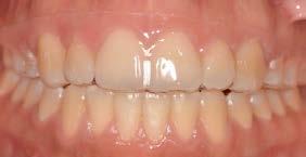
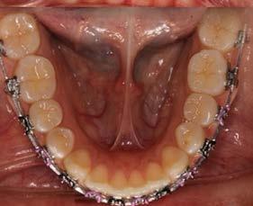
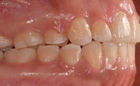
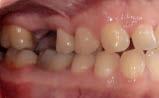
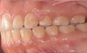
Objetivo: presentar un caso clínico de paciente con mordida abierta anterior, clase II y deglución atípica tratada con aparatología fija ortodóntica.

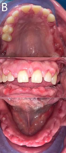
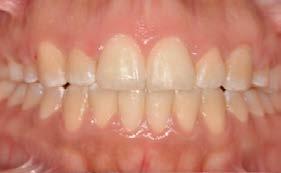
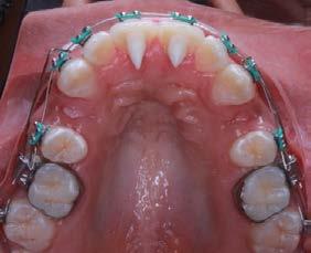
Caso clínico: paciente femenino de 19 años, patrón dolicofacial, perfil convexo, clase II esqueletal debido a una retrusión mandibular, mordida abierta anterior esqueletal, clase II molar, clase canina no establecida por mordida abierta, apiñamiento severo superior e inferior y deglución atípica.

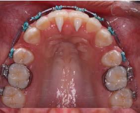
Resultados: obtención de una clase canina I y clase molar II funcional, se corrigieron las sobremordidas horizontal y vertical, y se logró la coincidencia de líneas medias facial y dental. El manejo de la mordida abierta anterior se llevó a cabo por medio de la corrección del hábito de deglución atípica con la ayuda de spikes de resina, elásticos intermaxilares y arcos utility, y se obtuvieron buenos resultados estéticos, dentales y funcionales.

Palabras clave: mordida abierta anterior, deglución atípica, clase II, elásticos intermaxilares.

C.D. Ana Delia Rodríguez Maldonado. Alumna de la Especialidad en Ortodoncia. Departamento de Clínicas Odontológicas

Integrales. Centro Universitario de Ciencias de la Salud. Universidad de Guadalajara.

C.D.E.O. Gema Aranzazú Álvarez García. Egresada de la Especialidad en Ortodoncia. Departamento de Clínicas Odontológicas

Integrales. Centro Universitario de Ciencias de la Salud. Universidad de Guadalajara.

Dr. José Luis Meléndez Ruíz. Coordinador y Profesor de la Especialidad en Ortodoncia. Departamento de Clínicas Odontológicas

Integrales. Centro Universitario de Ciencias de la Salud. Universidad de Guadalajara.

Dra. Jacqueline Adelina Rodríguez Chávez.

Profesora de la Especialidad en Ortodoncia.

Departamento de Clínicas Odontológicas

Integrales. Centro Universitario de Ciencias de la Salud. Universidad de Guadalajara.

Dra. Liliana Íñiguez Gutiérrez. Profesora de la Especialidad en Ortodoncia. Departamento de Clínicas Odontológicas Integrales.

Centro Universitario de Ciencias de la Salud. Universidad de Guadalajara.

C.D.E.O. Jorge Gregorio Bautista González. Profesor de la Especialidad en Ortodoncia. Departamento de Clínicas Odontológicas

Integrales. Centro Universitario de Ciencias de la Salud. Universidad de Guadalajara.

La mordida abierta anterior se define por la falta de superposición vertical entre los bordes incisales de los dientes anteriores maxilares y mandibulares.¹ La etiología de esta maloclusión puede estar dada por la altura facial anterior aumentada, por un exceso vertical esquelético y hábitos disfuncionales².

La incidencia de mordida abierta varía dependiendo de la edad y el grupo étnico, siendo más común en poblaciones africanas y afrocaribeñas.³ Aunque la mayoría de los pacientes con mordida abierta anterior buscan tratamiento solo por razones estéticas, pueden ocurrir problemas tales como la falta de guía anterior y guía canina, dificultad para desgarrar la comida, problemas de lenguaje y trastornos temporomandibulares, entre otros.²

La mordida abierta anterior se puede dividir en 2 categorías:

• Mordida abierta dental: el patrón esquelético vertical no contribuye a la maloclusión y suele estar presente en la región anterior, de canino a canino; los incisivos superiores están protruidos y proinclinados, y comúnmente resulta de un hábito.

• Mordida abierta esquelética: El patrón esquelético tiene una influencia en la maloclusión y se caracteriza por un alargamiento del tercio inferior de la cara, rotación de la mandíbula en el sentido de las agujas del reloj, un patrón de crecimiento hiperdivergente y contactos oclusales solo en molares.³

La deglución atípica es un problema miofuncional caracterizado por un cambio postural de la lengua durante el proceso de deglución. Tiene una etiología multifactorial e involucra hábitos no funcionales, genética, respiración bucal y procesos alérgicos.⁴

Este hábito nocivo tiene la mayor prevalencia en niños de 2-15 años de la población mexicana, con un 66.2%.⁵

La deglución atípica se define como la realización de movimientos inadecuados de la lengua y la musculatura vecina: orbicular de los labios, buccinadores y mentón, para permitir el paso de la saliva y/o alimentos desde la cavidad bucal a la faringe.⁶ La presencia de este hábito puede influir en el desarrollo de una maloclusión de mordida abierta anterior, dependiendo de su frecuencia, duración e intensidad durante el crecimiento y desarrollo, lo que provoca cambios

Figura 1. Fotografías iniciales. A) Extraorales: frente, sonrisa y perfil.

en la oclusión, en los tejidos óseos y faciales.⁷

El objetivo de este artículo es presentar el caso clínico de una paciente con mordida abierta anterior esqueletal, clase II molar y con hábito de deglución atípica, la cual declinó la alternativa quirúrgica y optó por el tratamiento ortodóntico.

Presentación del caso clínico

Paciente mujer de 19 años, sin antecedentes médicos y familiares relevantes, que acudió a atención a las clínicas odontológicas refiriendo como motivo de consulta: “Tengo mis dientes chuecos, un espacio entre mis dientes y mi mandíbula para atrás”. Después de obtener el consentimiento informado de la paciente, se realizó el análisis de las características faciales. La paciente presentó una sonrisa gingival, patrón dolicofacial, con el tercio inferior aumentado, el quinto

externo ligeramente disminuido en relación al quinto medio, competencia labial obtenida mediante tensión del músculo mentalis, ancho de la boca no concordante con la línea interpupilar, labios gruesos, línea media facial concuerda con línea media dental superior. Perfil convexo, ángulo nasolabial disminuido, mentón plano, hábito de deglución atípica y refirió tener hábito de dedo durante su infancia (Figura 1-A).

A la exploración intraoral, se observó mordida abierta anterior de primer premolar a primer premolar, así como línea media inferior desviada 1 mm a la izquierda, mordida cruzada del primer molar superior derecho, clase II molar, clase canina no establecida por mordida abierta, forma de arco ovoide superior e inferior, apiñamiento severo en ambas arcadas, incisivos superiores proinclinados e incisivos superiores e inferiores protruidos (Figura 1-B).

B) Intraorales: frontal, oclusal, laterales y sobremordidas.

Corrección de mordida abierta anterior en paciente clase II con deglución atípica. Caso clínico.

En el análisis de modelos, se observó sobremordida horizontal de 10 mm y sobremordida vertical de -6 mm, discrepancia de longitud de arco de -10 mm superior y -9 mm inferior, discrepancia de Bolton de 0.9 mm (exceso mandibular de 6-6) y 0.5 mm (exceso mandibular de 3-3), curva de Spee de 0 mm y mordida cruzada del primer molar superior derecho (Figura 2).

En la ortopantomografía se observaron vías aéreas ligeramente obstruidas, cóndilos asimétricos (el izquierdo más ancho que el derecho), proporción corona-raíz de 1:2, presencia de los terceros molares y paralelismo radicular (Figura 3-A).

La radiografía lateral de cráneo (Figura 3-B) indicó un estadio de terminación sin

remanente de crecimiento, de acuerdo con el análisis de Lamparski. Se realizó el análisis cefalométrico en el software Dolphin Imaging® versión 9.0 de Steiner (Figura 3-C), el cual permitió diagnosticar la clase II esqueletal debido a retrusión mandibular, patrón de crecimiento dolicofacial, mordida abierta esqueletal, proinclinación y protrusión de incisivos superiores, y protrusión de incisivos inferiores (Tabla I). Basados en sus características faciales, dentales y esqueletales, se clasificó a la paciente como clase II esqueletal debido a una posterorotación mandibular.

Los objetivos del tratamiento fueron corregir la mordida abierta anterior, eliminar el hábito de deglución atípica, obtener guía canina, guía anterior y eliminar el apiñamiento dental.

Se propuso inicialmente el tratamiento quirúrgico, obteniendo una negativa por parte de la paciente, por lo que se optó por una alternativa compensatoria exclusivamente dental. Se inició el tratamiento con la colocación inicial de spikes de resina en palatal de incisivos centrales superiores, junto con terapia de ejercicios de deglución para iniciar la corrección del hábito. Se remitió a

Figura 2. Modelos iniciales.

la paciente al departamento de cirugía para la extracción de los primeros premolares superiores. Posteriormente, se realizó la colocación de bandas en primeros molares y tubos sencillos en segundos molares, seguida de aparatología fija MBT slot 0.022” (TP®) con resina Enlight (ORMCO®) para su adhesión, siguiendo las instrucciones del fabricante (Figura 4).

Se colocó la siguiente secuencia de arcos: iniciando con 0.012” hasta 0.016” x 0.022” NiTi, y 0.017” x 0.025” SS hasta lograr la fase de alineación y nivelación, así como elásticos intermaxilares de clase II ¼” 2.5 Oz. Durante la fase de trabajo, se utilizó un arco 0.017” x 0.025” SS Utility superior para la intrusión del sector posterior y ligera extrusión del sector anterior (Figura 5). Después, se utilizaron tie back y elásticos de clase II para el cierre de espacios.

En la fase de detallado, se colocaron arcos de curva inversa 0.016” x 0.022” SS

superior e inferior, y se indicaron elásticos en caja en la parte anterior y posterior de calibre ¼” 3.5 Oz. Se realizó la colocación de botones en la cara palatina de los dientes 14 y 17 para el uso de elásticos cruzados y así corregir la mordida cruzada posterior derecha (Figura 6).

En la fase de finalización, se comprobó que la paciente tuviera los movimientos de desoclusión, así como un perfecto asentamiento, auxiliado por elásticos en caja posteriores y anteriores de ¼” 3.5 oz.

Una vez logrados los objetivos de tratamiento planteados al inicio, se retiró la aparatología. Como retención, se utilizó un Essix superior y un retenedor fijo de primer premolar a primer premolar en la arcada inferior (Figura 7).

Con esta mecánica, se lograron los objetivos planteados al inicio del tratamiento, y se remitió a la paciente para continuar con su terapia de lenguaje.

Tabla 1. Trazado inicial y final de Steiner.

Figura 3. Radiografías y trazado inicial. A) Ortopantomografía B) Lateral de cráneo C) Trazado cefalométrico.

El tiempo total de tratamiento fue de 30 meses, y la paciente comentó sentirse satisfecha con el resultado.

Como resultado, se logró un cierre de la mordida abierta anterior, lo que repercutió en la mejora de la estética y

funcionalidad de la sonrisa de la paciente, así como en la mejora del perfil (Figura 8-A). Intraoralmente, se lograron los objetivos planteados al inicio del tratamiento, que fueron el cierre de la mordida abierta anterior, la eliminación del hábito de deglución

Corrección de mordida abierta anterior en paciente clase II con deglución atípica. Caso clínico.

atípica, la obtención de guía canina, guía anterior y la eliminación del apiñamiento dental (Figura 8-B).

En la ortopantomografía, se puede apreciar el cierre de la mordida abierta anterior y la preservación de las longitudes radiculares en general (Figura 9-A). En la radiografía lateral y la superimposición finales, podemos observar

la mejora general del perfil de la paciente y de sus inclinaciones dentales (Figura 9-B y C).

Discusión

4. Colocación de aparatología y spikes de resina.

Curto y cols.⁶ concluyeron que el tratamiento de la mordida abierta anterior tuvo un impacto positivo en el concepto de calidad de vida relacionada con la Figura 5. Arco “Utility” para extrusión superior.

Figura

salud oral de los pacientes, observándose diferencias estadísticamente significativas. Resultados similares se lograron en el presente caso, donde se mejoró la estética y función de la paciente.

Mendoza y cols.⁵ mencionan que el hábito de deglución atípica puede ser un factor determinante en las alteraciones del plano sagital. Estos autores sostienen que, si la lengua se posiciona de manera elevada, puede generar un prognatismo maxilar e incluso desencadenar una maloclusión clase II división 1. Asimismo, Gutiérrez y cols.⁷ describen que la posición de la lengua en reposo y en función determina patrones oclusales alterados, tales como los observados en la mordida abierta anterior. Estas teorías concuerdan con el presente caso clínico, ya que la paciente manifestaba deglución atípica, además de un persistente hábito de succión digital, que desencadenó en una clase II división 1 y una mordida abierta anterior.

Este fenómeno de deglución atípica ha sido citado por otros autores⁸-¹¹ como un factor común en los casos de mordida abierta anterior. Canuto y cols.¹² y Rossato y cols.¹³ abordan la importancia del uso de spikes como una intervención efectiva para eliminar este hábito. Esta alternativa de tratamiento, que coincide con lo realizado en el presente caso clínico, nos ayudó, junto con las mecánicas utilizadas, al éxito del tratamiento.

Proffit y cols.¹⁴ y Rodríguez y cols.³ mencionan que realizar extracciones de primeros premolares en el arco superior en una maloclusión clase II ayuda a tener una mejor relación interoclusal con el arco inferior. Esta estrategia favorece el cierre de espacios y el control de la retracción anterior, evitando la corrección mediante procesos quirúrgicos o aditamentos que conllevan a tratamientos más costosos e incómodos. En este caso, solo se realizaron extracciones de primeros premolares

Figura 6. Cierre de mordida con elásticos en caja anterior.

en el arco superior, logrando un cierre de espacios adecuado y efectivo.

Finalmente, Isaacson y cols.¹⁵ señalan que el arco Utility es un método muy eficiente y efectivo para el tratamiento de las mordidas abiertas anteriores. Esta afirmación se alinea con este caso, ya que el arco Utility fue una de las herramientas principales utilizadas para la corrección de la mordida abierta anterior de la paciente. Consideramos fundamental resaltar que la eficacia de cualquier método terapéutico puede fluctuar en función de la severidad y las peculiaridades individuales de cada caso. Esto coincide con las observaciones de Rossato y cols.,¹⁶ quienes subrayan la importancia de una atención personalizada para obtener los mejores resultados.

La elección de los protocolos y aparatos específicos por los ortodoncistas está influenciada por la etiología particular de la mordida abierta anterior en cada paciente. Esta puede incluir factores como los hábitos bucales del paciente y las condiciones dentoesqueléticas y de los tejidos blandos. Por lo tanto, la comprensión y consideración de estos factores son imprescindibles para brindar una atención ortodóntica de alta calidad.

Conclusión

El manejo exitoso de este caso clínico se debió a un buen diagnóstico y una adecuada planeación terapéutica,

Corrección de mordida abierta anterior en paciente clase II con deglución atípica. Caso clínico.
Figura 7. Fotografías finales.

Figura 8. Radiografías y trazado final. A) Ortopantomografía. B) Lateral de cráneo. C) superimposición.

así como a la colaboración de la paciente en las indicaciones y el uso de aditamentos auxiliares, como los elásticos intermaxilares, lo que ayudó a obtener buenos resultados estéticos, dentales y funcionales. Se logró una buena armonía entre arcadas y una mejora significativa en la estética de la paciente, sin recurrir a la cirugía ortognática.

Corrección de mordida abierta anterior en paciente clase II con deglución atípica. Caso clínico.

Referencias

1. Todoki LS, Finkleman SA, Funkhouser E, Greenlee GM, Choi KW, Ko HC, et al. The National Dental Practice-Based Research Network adult anterior open bite study: treatment success. Am J Orthod Dentofacial Orthop. 2020;158(6):e137-e150. DOI: 10.1016/j.ajodo.2020.07.033

2. Le Keux F, Frapier L. Lingual treatment of an adult patient with an iatrogenic class II anterior open bite: report of a case with a non-surgical orthodontic approach. Int Orthod. 2021;19(1):170-181. DOI: 10.1016/j.ortho.2021.01.006

3. Rodríguez DE. Hernández, JR, Pomar G, Rodríguez-Chávez, JA, Orozco C. Corrección de una mordida abierta anterior en paciente clase II esqueletal: reporte de un caso. Rev Mex Ortod. 2016;4(2):96102. DOI: 10.1016/j.rmo.2016.10.004

4. Gonçalves FM, Taveira KVM, Araujo CM, Ravazzi GMNC, Guariza Filho O, Zeigelboim BS, et al. Association between atypical swallowing and malocclusions: a systematic review. Dental Press J Orthod. 2023;27(6):e2221285. DOI:10.1590/2177-6709.27.6.e2221285.oar

5. Mendoza Oropeza L, Meléndez Ocampo AF, Ortiz Sánchez R, Fernández López A. Prevalencia de las maloclusiones asociada con hábitos bucales nocivos en una muestra de mexicanos. Rev Mex Ortod 2014;2(4):220-227. DOI: 10.1016/S2395-9215(16)30038-1

6. Curto A, Albaladejo A, Alvarado-Lorenzo A. Oral-health-related quality of life (OHRQoL) and anterior open bite in adult patients: a case-control study. Healthcare (Basel). 2022;10(1):129. DOI: 10.3390/healthcare10010129

7. Gutiérrez DAR, Garzón JS, Franco JQ, Botero-Mariaca P. Anterior open bite and its relationship with dental arch dimensions and tongue position during swallowing and phonation in individuals aged 8-16 years: a retrospective case-control study. Int Orthod. 2021;19(1):107-116. DOI: 10.1016/j. ortho.2020.12.005

8. Begnoni G, Cadenas de Llano-Pérula M, Willems G, Pellegrini G, Musto F, Dellavia C. Electromyographic analysis of the oral phase of swallowing in subjects with and without atypical swallowing: A case-control study. J Oral Rehabil. 2019;46(10):927-935. DOI: 10.1111/joor.12826

9. Di Vecchio S, Manzini P, Candida E, Gargari M. Froggy mouth: a new myofunctional approach to atypical swallowing. Eur J Paediatr Dent. 2019;20(1):33-37. DOI: 10.23804/ejpd.2019.20.01.07

10. Suliano AA, Rodrigues MJ, de França Caldas A Jr, da Fonte PP, Porto-Carreiro Cda F. Prevalência de maloclusão e sua associação com alterações funcionais do sistema estomatognático entre escolares [Prevalence of malocclusion and its association with functional alterations of the stomatognathic system in schoolchildren]. Cad Saude Publica. 2007;23(8):1913-1923. DOI: 10.1590/ s0102-311x2007000800018

11. Mendes SL, Ribeiro ILA, de Castro RD, Filgueiras VM, Ramos TB, Lacerda RHW. Risk factors for anterior open bite: A case-control study. Dent Res J (Isfahan). 2020;17(5):388-394.

12. Canuto LF, Janson G, de Lima NS, de Almeida RR, Cançado RH. Anterior open-bite treatment with bonded vs conventional lingual spurs: A comparative study. Am J Orthod Dentofacial Orthop. 2016;149(6):847-855. DOI:10.1016/j.ajodo.2015.11.026

13. Rossato PH, Fernandes TMF, Urnau FDA, de Castro AC, Conti F, de Almeida RR, et al. Dentoalveolar effects produced by different appliances on early treatment of anterior open bite: A randomized clinical trial. Angle Orthod. 2018;88(6):684-691. DOI: 10.2319/101317-691.1

14. Proffit WR, Fields HW Jr, Larson BE, Sarver DM. Ortodoncia contemporánea. 6ª ed. Barcelona: Elsevier; 2019. 730 p.

15. Isaacson R, Lindauer S. Closing anterior open bites: the extrusion arch. Semin Orthod. 2001;7(1):3441. DOI: 10.1053/sodo.2001.21064

16. Rossato PH, Bayer LB, Almeida RR, Conti ACCF, Fernandes TMF, Oltramari PVP. Clinical complications during early treatment of anterior open bite. Braz Oral Res. 2021;35:e081. DOI: 10.1590/18073107bor-2021.vol35.0081

Turn static files into dynamic content formats.

Create a flipbook
Issuu converts static files into: digital portfolios, online yearbooks, online catalogs, digital photo albums and more. Sign up and create your flipbook.
Revista Dentista y Paciente 204 | Agosto 2025 by Dentista y Paciente - Issuu