Revista 208 | Diciembre 2025

Page 1


BOLETÍN

Las formas de la esterilización

PUNTO DE VISTA

Los efectos de la xerostomía e hiposalivación en pacientes diabéticos con prostodoncia total

CALIDAD Y DIRECCIÓN

El impacto del asma en tu boca: una mirada para odontólogos y padres de familia

INVESTIGACIÓN CLÍNICA

Cepillado dental en niños con TDAH: ¿son las apps un buen complemento?

ENCICLOPEDIA ODONTOLÓGICA

Rehabilitación de incisivo central con implante diferido y sobrecorrección con injerto óseo particulado y PRGF-Endoret. Caso clínico con 22 años de seguimiento

CASO CLÍNICO

La capa inhibida de oxígeno y su efecto en la resistencia de la resina compuesta

ESTUDIO

Niveles de estrés en estudiantes de Odontología

Si la Seguridad Radiológica, como Operador de un equipo de Rayos-X Intra-oral es algo que desconoce o no le ha preocupado, tome sus precauciones para que la Radiación Ionizante no llegue a generar con el en su organismo. tiempo Daños Estocásticos y Acumulativos

Como llevar a cabo una toma radiográfica en condiciones de seguridad con Equipos de RX Intra-orales TRADICIONALES, de piso o pared:

Antes de activar el Equipo, colóquese a DOS metros de distancia del RX y del Paciente, fuera del haz principal de radiación, o active el Equipo con disparador remoto. NU NC A so st eng a la Fuent e G e ner a dora e n sus m a no s. NUNCA sostenga en sus manos la película o el sensor digital en la cavidad oral del paciente.

Súmate a una práctica más profesional y segura.

Si la toma radiográfica es con un E qu ip o PORTÁTIL SIN DISPARADOR REMOTO, CO L ÓQ UES E MAND IL , GU ANT ES Y COLLAR TIROIDEO EMPLOMADOS, ya que sin protecciones las Dosis de Radiación pueden rebasar en más de TRES VECES lo que indican las Normas Establecidas de Seguridad Radiológica.

La información pro porci ona d a es cor t esí a de

Diciembre 2025

Termina un año más en el que hemos sido testigos de diversos sucesos, cambios y complicaciones, sobre todo en el entorno en el que nuestro país está envuelto.

Aunque se diga lo contrario, el sector salud continúa siendo golpeado: persiste la falta de medicamentos, de insumos y de mantenimiento en los hospitales públicos. La educación sigue deteriorándose, al igual que la economía. No cabe duda que el año que viene será en algunos aspectos, interesante y, en otros, complejo.

Esperamos que nuestros amigos y colaboradores hayan cumplido con las metas que se propusieron para este 2025 que está a punto de terminar y, sobre todo, que cierren el año con mucha salud, en compañía de sus seres queridos y que tengan un buen inicio del 2026.

De parte de la familia de Dentista y Paciente, les enviamos un gran abrazo y nuestros mejores deseos en esta Navidad, no sin antes agradecerles su preferencia que nos ha permitido seguir adelante, para cumplir nuevas metas.

¡Cuídense!

Mtro. Carlos Adolfo Espinosa García Especialidad en Odontología Legal y Forense Maestría en Odontología

10 | BOLETÍN

Las formas de la esterilización

14 | PUNTO DE VISTA

Los efectos de la xerostomía e hiposalivación en pacientes diabéticos con prostodoncia total

Editorial Renascence S.A. de C.V.

24 | CALIDAD Y DIRECCIÓN

El impacto del asma en tu boca: una mirada para odontólogos y padres de familia

30 | INVESTIGACIÓN CLÍNICA

Cepillado dental en niños con TDAH: ¿son las apps un buen complemento?

Fundador

Jaime Francisco Martínez Aceves†

Directora General

María Guadalupe Patricia López de Martínez patricia.lopez@dentistaypaciente.com

Directora Editorial

Mariangel Martínez López mmartinez@dentistaypaciente.com

Director de Arte y Diseño

Jesús Salas Pérez jesasez@dentistaypaciente.com

Coordinador Editorial

Marco A. Vergara Salgado marversa@dentistaypaciente.com

Gerentes Comerciales y de Negocios

Carlos Martínez García, Gabriela Ocadiz, Edson Aarón Hernández

Producción y Circulación

Edson Aarón Hernández

Fotografía e Ilustraciones

Editorial Renascence

Suscripciones

Edson Aarón Hernández

Preprensa e Impresión

MV IMPRESIONES

Distribución

MV IMPRESIONES, Av. Acueducto #9 Col. Quiahuatla, Alcaldia Tláhuac, C.P. 13090, CDMX

Contabilidad y Administración

L. C. y E. F. Renato Muñoz

director científico

Dr. Carlos Espinosa García Especialista en Odontología Legal y Forense

consejo editorial

Dr. Carlos Espinosa García Especialista en Odontología Legal y Forense

Javier Portilla Robertson

Exdirector de la Facultad de Odontología de la UNAM

Especialista en Patología Bucal

Marco A. Vergara Salgado

C.D.E.O. Arturo Alvarado Rossano†

Profesor y Especialista en Ortodoncia y Ortopedia Craneofacial en la Facultad de Odontología. UNAM. Asesor Académico y Coordinador de Difusión de la AMOCOAC.

C.D. Manuel García Luna y González Rubio

Dra. Ana Gabriela Carrillo Varguez

Coordinadora de la especialidad en endodoncia UABC Tijuana. Coordinadora de Investigación y Posgrado F.O. UABC

M.C. Ernestina Santillana Marín

Subdirectora de CISALUD UABC

William James Maloney, D.D.S. Clinical Associate Professor New York University

universidad anáhuac méxico norte

C.D. Carlos Robles Bonilla Coordinador de la Licenciatura de Cirujano Dentista

C.D. Sergio Antonio Ojeda León Profesor Titular de Odontopediatría de la Licenciatura de Cirujano Dentista

C.D. Bernardo Grobeisen Weingersz Profesor Titular de Clínica Integral de la Licenciatura de Cirujano Dentista

C.D. Norma Ibañez Mancera. Profesora Titular de Patología Bucal de la Licenciatura de Cirujano Dentista

Dirección del Derecho de Autor certificado de reserva al uso exclusivo no. 04-2008022718312200-102 con fecha 27 de Marzo del 2008. Gobernación de la H. Comisión Calificadora de Publicaciones y Revistas Ilustradas, certificado de licitud de contenido 5328, certificado de licitud de título 7411, franqueo pagado, publicación mensual permiso no. PP09-02106, SEPOMEX. Las opiniones expresadas en los artículos y en los anuncios publicados no significan de ninguna manera juicios, criterios, ideas o cualquier otro concepto por parte de la editorial; reflejan únicamente las ideas y pensamientos de sus autores. Los artículos, entrevistas, resúmenes, publirreportajes, fotografías y cualquier otro material son exclusivos de la editorial, y no se autoriza la reproducción total o parcial por ningún medio sin previa autorización del editor. Para cualquier asunto relacionado con suscripción, distribución, comercialización, anuncios, contenido u otro propósito, favor de dirigirse a la editorial. Impreso en MV IMPRESIONES, SA DE CV.

Dentista y Paciente® Publicación mensual correspondiente al mes de DICIEMBRE DE 2025. editada por Editorial Renascence S.A. de C.V., Rancho Jigüingo 29, Prado Coapa, Ciudad de México, 14350. tel. 56846632, fax 56793656. Distribuida en locales cerrados, depósitos dentales, universidades, congresos y exposiciones. Editora responsable: Mariangel Martínez López. Fotoarte de portada: Editorial Renascence.

distribución certificada por el padrón nacional de medios impresos de la dirección general de medios impresos de la secretaría de gobernación no. 007-136. www.gobernacion.gob.mx

40 | ENCICLOPEDIA ODONTOLÓGICA

Rehabilitación de incisivo central con implante diferido y sobrecorrección con injerto óseo particulado y PRGFEndoret. Caso clínico con 22 años de seguimiento

60 | ESTUDIO

Niveles de estrés en estudiantes de Odontología

50 | CASO CLÍNICO

La capa inhibida de oxígeno y su efecto en la resistencia de la resina compuesta

Las formas de la esterilización

Manuel Alberto Perez Coutiño -Área de comunicación Lorma

La diversidad de la esterilización

Hablar del tema de la esterilización es algo demasiado complejo y no solo por la praxis que conlleva para llegar al punto de esta, si no por todos los métodos que existen. Generalmente solo se suelen hablar de las más comunes, o se suele mencionar que hay métodos mejores que otros y de igual manera salen métodos que, aunque no sean tal cual nuevos, no son reconocidos oficialmente como métodos de esterilización para dispositivos médicos.

Hoy daremos un breve recorrido a los métodos de esterilización más reconocidos y conoceremos sus principios de funcionamiento, y hacia qué sector están orientados, no sin antes dejar en claro algo importante: en la esterilización no hay niveles como en el caso de la desinfección, por ende, no hay un mejor o peor método, estos se determinan de acuerdo al tipo de carga o el lugar donde se va a generar la esterilización.

El actor principal “el agente esterilizante”

Generalmente para determinar un correcto proceso de esterilización nos basamos en que el agente esterilizante, es decir el precursor de la muerte microbiológica, tenga una eficaz acción germicida, esporicida y actúe en un intervalo de tiempo lo más óptimo posible, y este a su vez no genere un efecto adverso

al paciente ni al encargado de la esterilización.

Las características más comunes son:

• Alta eficacia contra los microrganismos.

• Rápida actividad para conseguir en el menor tiempo posible la esterilización.

• Penetrabilidad y fácil difusión en los dispositivos médicos.

• Compatibilidad para no alterar las propiedades de los dispositivos médicos.

• Atoxicidad al momento de la manipulación una vez concluido el proceso.

• Ecoseguridad para evitar daños al medio ambiente.

• Adaptabilidad a la infraestructura donde se llevará el proceso.

• Tener el control de la monitorización de los parámetros, físicos, químicos o biológicos.

• Y presentar una eficacia en relación al coste.

Métodos

De los métodos aceptados por haber sido comprobada su efectividad y existir normativas de su manejo como son las ISO o las UNE, encontramos los métodos físicos, químicos, y los físico-químicos, que fusionan ambos.

Método físico

El primero del que hablaremos es el ya conocido calor seco, en el cual utiliza como agente esterilizante el aire de la cámara, el cual se calentará a temperaturas de entre 190°C hasta

150°C, con condiciones medibles de la estabilidad de la temperatura en conformidad del tiempo establecido, el problema de esta es que conforme disminuimos la temperatura prolongamos el tiempo, la ventaja es que está destinada para instrumental plano o que presente cavidades, así como se pueden utilizar materiales como polvos estables, aceites y vidrios. Este metódo es muy empleado en áreas de la salud.

El segundo es la esterilización por medio de vapor, en el caso de este se tiene como parámetros de control el tiempo, la temperatura y la presión, este método es de los más difundidas en áreas hospitalarias, debido a su efectividad y bajo nivel de toxicidad, así como la velocidad. De estas existen dos modelos básicos, los autoclaves gravitacionales y los de prevacío, el problema con este método es que no es útil para materiales termosensibles, tiende a deteriorar filos del instrumental, tiende a corroer materiales metálicos que no sean de acero inoxidable, no penetra en aceites y polvos y, dependiendo del tipo de modelo, será la carga aceptada para la esterilización.

El tercer método se divide en dos: el primero es la radiación ionizante (rayos gamma), empleada en cámaras industriales; y el segundo es la radiación no ionizante (electrones), utilizada en el ámbito industrial para esterilizar grandes volúmenes de dispositivos médicos, así como aquellos que, por su estructura, son sensibles a los

Diciembre 2025

De los métodos aceptados haber sido comprobada su efectividad y existir normativas de su manejo como son las ISO o las UNE, encontramos los métodos físicos, químicos, y los físico-químicos, que fusionan ambos.

se lleva en cámaras específicas para el uso de este agente, solo se puede esterilizar mediante la inmersión, una vez saliendo de la inmersión se rompe su estado de esterilidad, además llega a ser corrosivo y costoso, se emplea en material que no soporta la acción de la temperatura o la presión.

demás métodos, generalmente por este medio se esterilizan todos los dispositivos médicos desechables, este se realiza a temperatura ambiente, no deja residuos, y tiene un alto nivel de penetración, sin embargo para su correcto control se necesitan de instalaciones complejas que son costosas, por ello se emplea en el ámbito industrial.

Métodos químicos

Gas de óxido de etileno

Este se puede encontrar en el ámbito hospitalario en temperaturas bajas alrededor de los 37°C y los 55°C, para ser efectivo debe de verificarse el tiempo de exposición, presión, temperatura constante, nivel de humedad y la concentración del gas, los dispositivos médicos que se esterilicen por este medio deberán estar totalmente libres de humedad ya que el óxido de etileno en presencia de agua se hidroliza formando etilenglicol y en combinación con cloruros genera etilenclorhidrina, sustancia sumamente tóxica que ni con el proceso de aireación se elimina. Este medio presenta etapas de aireación que tienden a extender en ciclos largos la esterilización, debe de tener instalaciones precisas, es

cancerígeno en caso de exposición directa; sin embargo, está diseñado para dispositivos médicos complejos donde los demás medios no son recomendables.

Peróxido de hidrógeno – plasma de hidrógeno

Proceso de esterilización química a baja temperatura que utiliza peróxido de hidrógeno para generar la oxidación de las proteínas celulares. Este gas se transforma en su forma plasmática para lograr una mayor difusión y penetración. Se emplea en dispositivos médicos termosensibles, con parámetros aproximados de 50 °C y presiones controladas. No se recomienda su uso con materiales de celulosa, como algodón, papel o madera, y, tras ciertas evaluaciones, se ha restringido su aplicación en instrumental con lumenes o estructuras huecas.

Ácido peracético

Sistema de esterilización húmedo a baja temperatura en el cual el instrumental debe ser inmerso, no puede ser empaquetado, con parámetros de control de temperatura, tiempo y concentración del agente el cual

Método físico-químico

Formaldehido

Es un método que conjuga la acción del proceso químico del formaldehido en conjunto de temperatura, humedad, presión y tiempo de exposición, este sistema funciona por medio de la alquilación en cámaras de aluminio o de acero inoxidable generalmente destinado para materiales termosensibles, materiales plásticos, equipos electrónicos y endoscopios, sus desventajas principales son que resulta dañino al contacto directo, y que serequieren de procesos largos.

Conclusión

Como se puede ver, no existe una forma de esterilización absoluta ya que todas presentan una serie de ventajas y al mismo tiempo de desventajas; sin embargo, con base en estas características y a las necesidades de los dispositivos médicos dadas por el material, la forma, la resistencia a fuerzas físicas o químicas, velocidad en el uso del instrumental, nivel de atención médica o si es atención hospitalaria o industrial, es como se dispondrán estos sistemas.

Los efectos de la xerostomía e hiposalivación en pacientes diabéticos con prostodoncia total

En el presente artículo se abordan las diferentes complicaciones y retos a los que se enfrentan los cirujanos dentistas cuando realizan una rehabilitación total en pacientes con una de las enfermedades más comunes en México: la diabetes, en sus distintos tipos. Asimismo, se describen los procesos necesarios para lograr el éxito y la durabilidad del tratamiento.

Esto se analiza mediante diversas pruebas complementarias, como radiografías, estudios de laboratorio, fotografías intraorales y extraorales, además de estudios estadísticos nacionales e internacionales. Dichos recursos permiten conocer tanto el estilo de vida del paciente como la prevalencia de la enfermedad y los factores asociados al éxito del tratamiento, con el fin de establecer una guía que facilite una atención personalizada.

Palabras clave: diabetes, prótesis totales, periodontitis crónica, rehabilitación oral.

López Huerta Kitzia Patricia,1 Palacios Estrada Luz Valeria,1 García Ortiz Angela Aylin,2 García Muñoz Alejandro.1-2 1Universidad Nacional Autónoma de México, Facultad de Estudios Superiores Iztacala, Clínica Odontológica Aragón. Estado de México, México. 2Laboratorio de proteómica aplicada a patologías bucales y búsqueda de biomarcadores salivales. Universidad Nacional Autónoma de México. Facultad de Estudios Superiores Iztacala. Clínica Odontológica Aragón. Estado de México. México.

La diabetes mellitus (DM) es una enfermedad crónica que se presenta cuando el páncreas no secreta suficiente insulina o cuando el organismo no la utiliza eficazmente. La insulina es una hormona que regula la concentración de glucosa en la sangre, es decir, la glucemia. Un efecto común de la diabetes no controlada es la hiperglucemia (niveles elevados de glucosa en sangre), la cual, con el tiempo, daña gravemente diversos órganos y sistemas del cuerpo, especialmente los nervios y los vasos sanguíneos.

Actualmente se reconocen varios tipos de diabetes —gestacional, tipo 1 y tipo 2—, cada uno con diferente etiología, origen y desarrollo. Sin embargo, en todos los casos se presenta

una alteración en el nivel o en las características de la insulina.

De acuerdo con la Federación Internacional de la Diabetes, 537 millones de personas entre 20 y 79 años viven con esta enfermedad en todo el mundo.1

Justificación

En la actualidad existe abundante información sobre la diabetes mellitus, sus diferentes tipos y las afecciones que se manifiestan en la cavidad oral. Sin embargo, se ha prestado poca atención a las necesidades específicas de los pacientes diabéticos portadores de prótesis totales. Por esta razón, el objetivo de este trabajo fue profundizar en el conocimiento de este grupo de pacientes —tanto quienes ya utilizan como quienes requieren prótesis totales—, además de analizar el papel

que desempeña la xerostomía en su condición.

El propósito del presente artículo es dar a conocer las dificultades que puede enfrentar un dentista al tratar a un paciente diabético, así como los tratamientos protésicos a los que dicho paciente puede ser candidato. Se busca también identificar cuáles son los más adecuados según factores como la edad, la ocupación y el tipo de diabetes que presente.

Materiales y métodos.

Se realizó una búsqueda en la plataforma BIDI UNAM, de la cual se obtuvieron artículos provenientes de PubMed y EBSCOhost, enfocados en los siguientes términos: periodontitis, diabetes, oral rehabilitation, dental implants, dental prosthesis, full-mouth rehabilitation.

De esta búsqueda se obtuvieron 2 362 artículos, de los cuales se seleccionaron 20 para la elaboración del presente trabajo. Los artículos no incluidos fueron descartados por no cumplir con los criterios relacionados con la rehabilitación total en pacientes diabéticos.

Tras el análisis de la bibliografía, se determinó que los siguientes subtemas permiten abordar el objetivo planteado, por lo que serán desarrollados a continuación:

• Repercusiones en cavidad oral en pacientes diabéticos.

• Necesidades protésicas en pacientes diabéticos.

• Prótesis total.

• Prótesis y falta de higiene.

• Diabetes y enfermedad periodontal.

• Diabetes y patología periapical.

• Diabetes y caries dental.

• Diabetes y mucosa oral.

• Diabetes y xerostomía.

Repercusiones en cavidad oral en pacientes diabéticos

Durante años, la investigación sobre la diabetes ha explorado las múltiples implicaciones clínicas de esta enfermedad de alta prevalencia. Se ha observado una mayor incidencia de abscesos, gingivitis, periodontitis y movilidad dentaria, lo que incrementa la destrucción de tejidos y repercute significativamente en la salud bucodental y en la vida social de los pacientes. El manejo temprano de los problemas orales asociados con la diabetes permite evitar la exacerbación del desequilibrio metabólico existente.2

Está comprobado que los individuos con diabetes no controlada presentan

Las investigaciones han establecido que los pacientes con diabetes mellitus pueden presentar una variedad de manifestaciones orales.

un mayor riesgo de infecciones, así como un tiempo de cicatrización prolongado, lo que pone en peligro la salud de la cavidad bucal. Diversas investigaciones han establecido que los pacientes con diabetes mellitus pueden manifestar una amplia variedad de alteraciones orales. A continuación, se resumen las principales manifestaciones y su relación con la enfermedad.3

Prótesis total

La prostodoncia forma parte de la prótesis odontológica y se dedica al estudio y rehabilitación fisiopatológica de la edentación. Una prótesis total está compuesta por dos elementos esenciales: la base protésica y los dientes artificiales. Este conjunto presenta tres superficies constitutivas, cada una con una función específica en la adaptación, estabilidad y funcionamiento de la dentadura. Asimismo, se denominan fuerzas retentivas aquellas que permiten mantener la posición entre la superficie de apoyo y la mucosa que cubre los procesos residuales.4

La prótesis dental, con sus diferentes niveles de complejidad, constituye una necesidad asistencial dentro de la atención primaria de la población y no puede considerarse un problema aislado. Por ello, es fundamental conocer las causas que provocan la pérdida dental y trabajar en su prevención, ya que es el medio más eficaz y económico para reducir el número de tratamientos protésicos.

Por lo tanto, es indispensable incluir en el tratamiento periodontal una atención integral que contemple educación e instrucción en higiene bucal, con el fin de motivar al paciente a controlar por sí mismo la acumulación de placa dental y biopelícula bacteriana.

endotoxemia o bacteriemia. Esto genera un aumento en los niveles séricos de mediadores inflamatorios como la interleucina 6 (IL-6), el fibrinógeno y la proteína C reactiva (PCR).

La inflamación sistémica resultante puede agravar la resistencia a la insulina y, por tanto, interferir con el tratamiento de la diabetes. Un tratamiento periodontal adecuado puede reducir los niveles de mediadores proinflamatorios y contribuir a un mejor control glucémico.

La realización de un tratamiento protésico implica diversos pasos clínicos y de laboratorio, entre los cuales destaca la instalación y el control, etapas que requieren dedicación y conocimiento tanto del operador como del paciente. Este seguimiento es indispensable incluso en los casos que no reportan molestias, pues en ocasiones los problemas se deben a la falta de comunicación o a un deficiente intercambio de información con el profesional.5

Prótesis y falta de higiene

La prótesis dental es un recurso determinante para la salud de las personas que presentan ausencia dentaria, ya sea parcial o total. No obstante, su conservación y funcionalidad dependen del mantenimiento en condiciones adecuadas que permitan al portador disfrutar plenamente de su apariencia física y funcional.6

Los procedimientos de higiene para el mantenimiento de las prótesis dentales removibles son fundamentales para el éxito del tratamiento protésico, así como para preservar la salud sistémica y bucal del paciente. Cada persona debe recibir instrucciones personalizadas, considerando que, en quienes utilizan prótesis dentales, el microbioma oral se modifica por la presencia de las superficies acrílicas y por la hiposalivación.7

Diabetes y enfermedad periodontal

La principal complicación bucal asociada con la diabetes es la enfermedad periodontal (EP), considerada la sexta complicación de la diabetes mellitus. En pacientes con EP, la simple masticación puede provocar la diseminación sistémica de patógenos periodontales y sus productos metabólicos, causando

Se ha sugerido que existe cierto grado de sinergia entre la DM y la EP. Por un lado, la gravedad y prevalencia de la EP aumentan en pacientes diabéticos, especialmente en aquellos con mal control glucémico. Por otro lado, la periodontitis puede exacerbar la diabetes al disminuir el control glucémico. No obstante, persiste cierta controversia: aunque está claro que la diabetes incrementa el riesgo de EP, el impacto de esta enfermedad en el control glucémico, así como los mecanismos implicados, aún no se comprenden completamente.2

Diabetes y patología periapical

La literatura científica ha demostrado una mayor prevalencia de lesiones periapicales en pacientes con diabetes mal controlada. Un estudio clínico reciente reportó que los pacientes con DM2 presentan una asociación significativa con una mayor incidencia de lesiones periapicales y tratamientos de endodoncia.

Los efectos de la xerostomía e hiposalivación en pacientes diabéticos con prostodoncia total

En cuanto a la tasa de éxito de los tratamientos endodónticos, un artículo publicado en 2011 señala que los pacientes con DM presentan una menor tasa de éxito en el tratamiento de conducto primario, en comparación con los pacientes no diabéticos, aunque ambos grupos muestran resultados similares en los tratamientos de conducto radicular secundarios. Otro estudio encontró que los pacientes con diabetes tienen un mayor riesgo de requerir una extracción dental posterior al tratamiento endodóntico, riesgo que aumenta en presencia de hipertensión y enfermedad coronaria.

La pulpa dental en pacientes diabéticos puede presentar una circulación

colateral limitada, una respuesta inmunitaria alterada y un mayor riesgo de infección o necrosis pulpar. A nivel molecular, la hiperglucemia estimula la resorción ósea, inhibe la diferenciación de osteoblastos y reduce la capacidad de recuperación del hueso. Se ha observado que la eliminación de la inflamación periodontal puede disminuir la dosis de insulina necesaria para el control glucémico del paciente, por lo que es fundamental eliminar todas las infecciones pulpares.

Las características particulares de las lesiones periapicales en pacientes con diabetes sugieren que los objetivos terapéuticos y los criterios de éxito deberían adaptarse a este grupo. Una

revisión reciente concluyó que el conocimiento actual sobre la microbiología de las infecciones endodónticas y las respuestas inflamatorias aún es limitado, y que profundizar en este campo permitiría desarrollar nuevas estrategias de tratamiento para estos pacientes. Se requiere más investigación para mejorar la comprensión del problema y aumentar las tasas de éxito en los tratamientos endodónticos.2

Diabetes y caries dentales

En los pacientes diabéticos existe una tendencia a la aparición de caries en localizaciones específicas. Se sabe que un factor relacionado con la

formación de caries en el cuello dentario es la saliva. Sin embargo, en los pacientes con diabetes, la xerostomía puede deberse más a una neuropatía periférica que a una verdadera hiposalivación.8

Diabetes y mucosa oral

Los pacientes con DM pueden presentar una mayor prevalencia de trastornos en las mucosas, posiblemente asociados con inmunosupresión crónica, retraso en la cicatrización y/o hipofunción salival. Entre estas alteraciones se incluyen infecciones fúngicas orales, como la candidiasis; lengua fisurada, fibromas irritativos, úlceras traumáticas y liquen plano. No obstante, existe controversia en torno a este tema, ya que algunos estudios no han encontrado una asociación clara entre la DM y la candidiasis u otras lesiones de la mucosa oral.2

Diabetes y xerostomía

Diversos estudios sugieren que la DM puede causar xerostomía o hiposalivación, y que existe una correlación significativa entre el grado de xerostomía y los niveles de glucosa en la saliva. El aumento de glucosa salival favorece la proliferación y colonización de bacterias en la cavidad oral, además de facilitar el desarrollo de Candida y disminuir la actividad de los neutrófilos.

En un estudio con 102 pacientes, se encontró una asociación significativa entre DM1 y xerostomía; sin embargo, los resultados indicaron que el estado clínico y las condiciones salivales no afectaron directamente la presencia de xerostomía. Carda et al., en una muestra de 33 pacientes, encontraron una prevalencia significativamente mayor de xerostomía en pacientes diabéticos en comparación con el grupo

control (76.4 % y 18.7 %, respectivamente).9 Aun así, otros estudios no han hallado diferencias significativas en el flujo salival entre pacientes diabéticos y no diabéticos.2

En los pacientes que reciben atención protésica, la situación se complica aún más, pues la mayoría son adultos mayores que han perdido parte o la totalidad de sus dientes. Además, muchos de ellos requieren medicación para controlar otras enfermedades sistémicas. Por ello, el protesista debe mantenerse atento tanto en pacientes que acuden por primera vez como en aquellos que ya utilizan prótesis y presentan sintomatología asociada.10

Discusión

Como se ha observado, la diabetes mellitus afecta a casi el 10 % de la población mundial,2 y sus manifestaciones

Los efectos de la xerostomía e hiposalivación en pacientes diabéticos con prostodoncia total

repercuten en la cavidad oral de diversas maneras, entre las cuales destaca la xerostomía.11 Esta condición incrementa la necesidad de control periodontal, ya que la destrucción tisular puede acelerarse en los pacientes diabéticos.2

Uno de los aspectos más relevantes es la correlación entre los niveles de glucosa en sangre y los niveles de glucosa en saliva,12 relación directamente vinculada con la presencia de caries y, sobre todo, con la enfermedad periodontal. La diabetes aumenta el riesgo de periodontitis y, a su vez, la periodontitis dificulta el control glucémico en personas con diabetes.13

Por lo tanto, es indispensable incluir en el tratamiento periodontal una atención integral que contemple educación e instrucción en higiene bucal, con el fin de motivar al paciente a controlar por sí mismo la acumulación de placa dental y biopelícula bacteriana. También se requieren herramientas de detección que permitan identificar a pacientes con riesgo de desarrollar caries o enfermedad periodontal —y eventualmente edentulismo—, para diseñar estrategias terapéuticas orientadas a prevenir la aparición de candidiasis, úlceras, halitosis, épulis o hiperplasias fibrosas, así como retención de placa.14

Los pacientes con diabetes mal controlada presentan un manejo clínico más complejo debido a las patologías concomitantes (xerostomía o hiposalivación). Estas condiciones se asocian

directamente con la enfermedad, y su severidad varía según el grado de alteración glucémica. En los casos no controlados, se observa disminución en la resistencia de los tejidos, lo que, sumado a una higiene deficiente, provoca alteraciones estructurales. La falta de saliva produce irritación en la mucosa por ausencia del efecto lubricante de las mucinas salivales, lo que puede generar una apariencia seca, atrófica, pálida e incluso translúcida e inflamada.11

Se ha demostrado que la rehabilitación dental en pacientes con DM tiene un impacto positivo en su nutrición y funcionalidad, y por ende, en su salud general. Un enfoque interdisciplinario que integre la atención médica y odontológica mejora la salud bucal, la nutrición y la calidad de vida de los pacientes diabéticos.15

Según B. Velásquez et al. (2022), en pacientes edéntulos totales con xerostomía, las alternativas de tratamiento se limitan. Se propone planificar prótesis fijas apoyadas en implantes o sobredentaduras sobre implantes, con el objetivo de reducir la fuerza masticatoria sobre los tejidos subyacentes y preservar la anatomía y el volumen de la cresta alveolar residual. Con una planificación estricta, el tiempo de rehabilitación puede disminuir, alcanzando resultados estético-funcionales satisfactorios y un alto nivel de confort.16

El protocolo propuesto consta de cuatro fases:

Fase 1. Análisis mediante tomografía computarizada para evaluar el volumen óseo vertical y horizontal (cortes axiales y transversales), determinando la viabilidad de los implantes dentales ante alteraciones oclusales y pérdida de dimensión vertical.

Fase 2. Cirugía de implantes en posición tridimensional óptima (4 a 6 implantes), con un periodo de aceptación sistémica de 3 a 6 meses.

Fase 3. Rehabilitación: creación de una oclusión orgánica y acondicionamiento en boca para el registro de la dimensión vertical, evaluando la adaptación, retención y estabilidad.

Fase 4. Relación intermaxilar y transferencia al articulador, selección de color, forma y tamaño dental, y finalmente el acrilizado, verificando adaptabilidad, rigidez y funcionalidad.

La diabetes mellitus también afecta la respuesta inmunológica en la cavidad oral, haciendo a los pacientes menos resistentes a infecciones bacterianas y micóticas. Esto se debe, en parte, al aumento de carbohidratos en la sangre, tejidos y saliva, lo que altera el metabolismo y favorece la proliferación bacteriana. Además, los pacientes portadores de prótesis totales que no mantienen una adecuada higiene tienden a desarrollar infecciones agravadas por la xerostomía. En conjunto, se concluye que la diabetes provoca alteraciones a nivel salival, mucoso y periodontal, y puede exacerbar cualquier proceso infeccioso en la cavidad oral.

Conclusión

Las dificultades que enfrenta el odontólogo al rehabilitar a un paciente sistémicamente comprometido con diabetes mellitus, en comparación con uno sano, se deben principalmente a la disminución en la producción de saliva y al consecuente deterioro de los tejidos y su lubricación natural. Estas alteraciones pueden provocar cambios

estructurales que afectan el confort y la función protésica.

Por ello, el cirujano dentista debe hacer especial énfasis en la higiene y el mantenimiento de las prótesis, así como en el cuidado integral de la cavidad oral. De lo contrario, las consecuencias pueden ser tanto locales como sistémicas, comprometiendo la estabilidad general del paciente.

Referencias

1. Roa MM. 537 millones de adultos viven con diabetes en el mundo, cifra que va en aumento [Internet]. Statista. 2016. Disponible en: https://es.statista.com/grafico/6698/la-expansion-de-la-diabetes

2. María, H. M. D., Margarita, R. M. M., Francisco, L. G., Luís, H. M. G., & Jesús, C. R. La diabetes mellitus como factor de riesgo de pérdida dentaria en la población geriátrica [Internet]. Sld.cu. [citado el 11 de mayo de 2024]. Disponible en: http://scielo.sld.cu/scielo.php?script=sci_arttext&pid=S1561-31942010000100003

3. Mauri-Obradors E, Estrugo-Devesa A, Jane-Salas E, Vinas M, Lopez-Lopez J. Oral manifestations of Diabetes Mellitus. A systematic review. Med Oral Patol Oral Cir Bucal [Internet]. 2017;0–0. Disponible en: http://dx.doi.org/10.4317/medoral.21655

4. Ozawa Deguchi JY. Fundamentos de prostodoncia total. Benito Juarez México: Trillas; 2010.

5. Hortensia, C. C. M., Blanca, R. P., Zulema, A. A., & Leonardo, N. A. Manual instructivo de instalación y control de prótesis totales [Internet]. Sld.cu. [citado el 11 de mayo de 2024]. Disponible en: http://scielo.sld.cu/scielo.php?script=sci_arttext&pid=S0034-75072007000400013#:~:text=El%20uso%20de%20una%20pr%C3%B3tesis,por%20lo%20que%20debemos%20explicar

6. Josefa, N. N., Tania, R. C., Hortensia, C. C. M., Zulema, Á. A., & Luisa, L. B. Mantenimiento, manejo y cuidado de las prótesis dentales en pacientes atendidos en una consulta de estomatología

Los efectos de la xerostomía e hiposalivación en pacientes diabéticos con prostodoncia total

general integra [Internet]. Sld.cu. [citado el 11 de mayo de 2024]. Disponible en: http://scielo. sld.cu/scielo.php?script=sci_arttext&pid=S1029-30192016001000004

7. Cinquanta L, Varoni EM, Barbieri C, Sardella A. Patient attitude and habits regarding removable denture home hygiene and correlation with prosthesis cleanliness: A cross-sectional study of elderly Italians. J Prosthet Dent [Internet]. 2021;125(5):772.e1-772.e7. Disponible en: http:// dx.doi.org/10.1016/j.prosdent.2021.01.024

8. Miralles L, Silvestre FJ, Hernández-Mijares A, Bautista D, Llambes F, Grau D. Caries dental en diabéticos tipo 1: Influencia de factores sistémicos de la enfermedad en la instauración de la caries dental. Med Oral Patol Oral Cir Bucal [Internet]. 2006 [citado el 11 de mayo de 2024];11(3):256–60. Disponible en: http://scielo.isciii.es/scielo.php?script=sci_arttext&pid=S1698-69462006000300008&lng=es&tlng=es

9. Carda C, Mosquera-Lloreda N, Salom L, Gomez de Ferraris ME, Peydró A. Structural and functional salivary disorders in type 2 diabetic patients. Med Oral Patol Oral Cir Bucal. 2006 Jul 1;11(4):E309-14. English, Spanish. PMID: 16816810.

10. Alfonso, R. P. J., & Teresa, M. N. La Xerostomía en pacientes con prótesis dental [Internet]. Sld. cu. [citado el 11 de mayo de 2024]. Disponible en: http://scielo.sld.cu/scielo.php?script=sci_arttext&pid=S0034-75072008000200010

11. Chávez EM, Borrell LN, Taylor GW, Ship JA. A longitudinal analysis of salivary flow in control subjects and older adults with type 2 diabetes. Oral Surg Oral Med Oral Pathol Oral Radiol Endod [Internet]. 2001;91(2):166–73. Disponible en: http://dx.doi.org/10.1067/moe.2001.112054

12. Gupta S, Sandhu SV, Bansal H, Sharma D. Comparison of salivary and serum glucose levels in diabetic patients. J Diabetes Sci Technol [Internet]. 2015;9(1):91–6. Disponible en: http:// dx.doi.org/10.1177/1932296814552673

13. Bui FQ, Almeida-da-Silva CLC, Huynh B, Trinh A, Liu J, Woodward J, et al. Association between periodontal pathogens and systemic disease. Biomed J [Internet]. 2019;42(1):27–35. Disponible en: http://dx.doi.org/10.1016/j.bj.2018.12.001

14. Simpson TC, Weldon JC, Worthington HV, Needleman I, Wild SH, Moles DR, et al. Treatment of periodontal disease for glycaemic control in people with diabetes mellitus. Cochrane Libr [Internet]. 2015;2018(3). Disponible en: http://dx.doi.org/10.1002/14651858.cd004714.pub3

15. Bukhary DM. Teeth rehabilitation and nutritional influence on diabetic patients: A review. Cureus [Internet]. 2023; Disponible en: http://dx.doi.org/10.7759/cureus.46182

16. Velásquez Ron, B, Benalcazar Ormaza, C, Aldas Fierro, E, Coral Velasco, R, & Mena Serrano, A. (2022). Rehabilitación completa de paciente geriátrico diabético e hipertenso: caso clínico. Avances en Odontoestomatología, 38(1), 8-13.

208. Diciembre 2025

El impacto del asma en tu boca: una mirada para odontólogos y padres de familia

El asma es una enfermedad respiratoria crónica de alta prevalencia en la infancia. Su tratamiento se basa principalmente en el uso de medicamentos inhalatorios, los cuales pueden afectar de manera significativa la salud bucodental. Este artículo de divulgación tiene como propósito informar a odontólogos y padres de familia sobre las principales alteraciones orales que pueden presentarse en niños asmáticos, tales como caries dental, erosión del esmalte, candidiasis, bruxismo y alteraciones del desarrollo dentofacial. Se destacan los efectos adversos de los corticosteroides inhalados sobre

Magaña Huerta, Estefanía* Pérez Pérez, Maricruz**

*Alumna de 2º año de Odontopediatría del Centro Educativo Multidisciplinario en Rehabilitación Oral CEMRO, Tarímbaro, Michoacán.

**Coordinadora de la especialidad en Odontopediatría del Centro Educativo Multidisciplinario en Rehabilitación Oral CEMRO, Tarímbaro, Michoacán.

Contacto Estefanía Magaña Huerta Mail: fannymaghue@gmail.com

el pH y el flujo salival, así como la importancia de mantener una higiene bucal rigurosa y de implementar un abordaje preventivo desde la odontología pediátrica. Con base en estudios recientes, se subraya la necesidad de ofrecer una atención integral y coordinada entre profesionales de la salud y cuidadores para mejorar la calidad de vida de los pacientes pediátricos con asma.

Palabras clave: asma infantil, salud bucal, caries, corticosteroides inhalados, candidiasis oral, odontología pediátrica, erosión dental.

Actualmente se ha enfatizado la importancia de la prevención, diagnóstico, tratamiento y control de las enfermedades bucodentales en edad pediátrica mediante un enfoque mínimamente invasivo, con la finalidad de evitar repercusiones en la estructura orofacial. Asimismo, se busca derivar al paciente pediátrico a la especialidad indicada ante la sospecha de signos o síntomas de alguna patología de origen respiratorio o dietético que, en caso de diagnóstico o tratamiento tardío, pueda ocasionar repercusiones irreversibles. Tal es el caso del asma, que, según el INER, en México y Latinoamérica alcanza hasta un 40% de pacientes no diagnosticados de manera oportuna, lo que representa un reto tanto para el odontopediatra como para los padres de familia. En la mayoría de los casos, su diagnóstico se confunde con otras enfermedades de las vías respiratorias, lo que provoca que la afección se vuelva crónica y tenga un impacto en la salud bucal.

Figura 1. Fisiopatología del asmático.

El asma, una enfermedad heterogénea caracterizada por inflamación, broncoconstricción e hiperreactividad bronquial, afecta a millones de niños en todo el mundo y representa una de las condiciones médicas más comunes durante la infancia (Figura 1). Si bien sus manifestaciones más conocidas se relacionan con dificultad para respirar, sibilancias y episodios de tos, existe un aspecto menos discutido pero no menos importante: su repercusión sobre la salud bucal.

El objetivo de este artículo es informar y sensibilizar a odontólogos y padres de familia sobre las manifestaciones bucales asociadas al asma y su tratamiento en pacientes pediátricos, destacando la importancia de la prevención, el diagnóstico temprano y el manejo odontológico adecuado para mejorar la salud oral y la calidad de vida de los niños asmáticos.

Tanto para los padres de familia como para los odontólogos, comprender el impacto que el asma y su tratamiento tienen sobre la cavidad oral es fundamental para prevenir complicaciones y promover un adecuado desarrollo integral en el paciente pediátrico. La interacción entre enfermedad, medicamentos y hábitos orales crea un entorno propenso a ciertas patologías que pueden evitarse mediante una

atención odontológica basada en prevención y colaboración.

Medicación inhalatoria y sus efectos en la cavidad oral

El tratamiento más común del asma en la población infantil incluye el uso de corticosteroides inhalados y broncodilatadores, tales como la budesonida y el salbutamol (Figura 2). Estos fármacos, administrados con frecuencia por vía inhalatoria, modifican las condiciones normales del ecosistema oral. Uno de los efectos más notorios es la disminución del flujo salival y del pH, lo que a su vez facilita la proliferación bacteriana y la desmineralización del esmalte dental (Vallina et al., 2018).

El contacto constante con estos medicamentos favorece el desarrollo de infecciones fúngicas, como la candidiasis bucal, que se manifiesta con placas blanquecinas, ardor y enrojecimiento. Cáceres et al. (2024) documentaron un caso clínico en una niña asmática que desarrolló candidiasis pseudomembranosa tras el uso continuo de budesonida y salbutamol. Además, el mismo caso evidenció lesiones cariosas en incisivos primarios, lo que sugiere una estrecha relación entre el uso de corticosteroides y el incremento del riesgo de caries dental.

México y Latinoamérica alcanza hasta un 40% de pacientes no diagnosticados de manera oportuna, lo que representa un reto tanto para el odontopediatra como para los padres de familia

Caries dental: ¿riesgo real o exagerado?

La relación entre asma y caries dental ha sido ampliamente estudiada, pero no todos los resultados son concluyentes. Algunos autores, como Carhuamaca et al. (2019), demostraron una clara correlación entre el uso de inhaladores y un mayor número de lesiones cariosas en niños asmáticos. Según su investigación, el 60.9% de estos pacientes presentaban una higiene oral deficiente y el 47.8% tenía un alto número de caries activas. En contraste, los niños sanos del grupo control mostraron menor incidencia.

Sin embargo, otros trabajos presentan resultados más matizados. Chumpitaz et al. (2020) encontraron que, aunque la prevalencia general de caries en pacientes asmáticos no superaba significativamente a la del grupo control, sí existía una relación directa entre el tiempo de uso de inhaladores y el aumento del índice CPOD (herramienta utilizada para medir la presencia de caries dental: C: dientes cariados, P: dientes perdidos por caries, O: dientes obturados, D: dentición permanente). Es decir, mientras más tiempo permanecía el niño en tratamiento inhalatorio, mayor era su exposición a caries.

Aún más sorprendente es el hallazgo de Domenzain et al. (2021), quienes no encontraron una asociación estadísticamente significativa entre el asma y la caries dental. No obstante, sí reportaron una mayor incidencia de

erosión dental en niños asmáticos, lo cual apunta a otro tipo de daño estructural sobre el diente, probablemente influenciado por el entorno ácido de la boca.

Otras manifestaciones orales: erosión, bruxismo y alteraciones del desarrollo

Además de caries e infecciones fúngicas, los niños asmáticos pueden desarrollar otras alteraciones menos evidentes pero igualmente relevantes para el odontólogo clínico. Domenzain et al. (2021) señalaron una asociación significativa entre asma y erosión dental, lo que podría estar vinculado tanto a la reducción del pH salival como a episodios de reflujo gástrico asociados a la enfermedad o a sus tratamientos (figura 3). La saliva actúa como un mecanismo de defensa natural, ya que el pH equilibrado ideal en la cavidad oral es de 6.8 a 7.4. Cuando se presenta un

pH crítico de 5.5 (ácido), comienza a aumentar la susceptibilidad del diente a la desmineralización.

Chhabra et al. (2021) añadieron a esta lista otras alteraciones dentofaciales propias de pacientes pediátricos asmáticos, como el aumento de la altura facial anterior, bóvedas palatinas más altas y mordidas cruzadas posteriores. Estas modificaciones del desarrollo orofacial pueden tener repercusiones funcionales y estéticas a largo plazo, y suelen requerir intervención ortodóncica temprana.

También se ha estudiado la presencia de bruxismo en esta población. Aunque Domenzain et al. (2021) no encontraron una relación significativa, algunos padres y clínicos reportan hábitos parafuncionales como apretar o rechinar los dientes, posiblemente relacionados con el estrés crónico que implica vivir con una enfermedad respiratoria.

Figura 2. Uso de broncodilatadores.

Calidad y dirección

Calidad de vida y atención integral

La salud bucal está estrechamente ligada al bienestar general de los pacientes. En un estudio realizado en India, Dhinsa et al. (2021) evaluaron la calidad de vida de niños con asma bronquial y encontraron un impacto negativo asociado a la presencia de caries y otras afecciones orales. El malestar físico, las dificultades para comer o sonreír y el estigma social son factores que disminuyen la autoestima y el desempeño escolar en estos niños.

Esto refuerza la importancia de un abordaje integral que incluya no solo el control farmacológico del asma, sino también la prevención y el tratamiento oportuno de las enfermedades bucales asociadas. La comunicación entre pediatras, odontólogos y padres de familia es clave para establecer estrategias conjuntas: desde la indicación de enjuagues bucales después del uso de inhaladores, hasta una supervisión más frecuente de la higiene oral y la dieta, así como visitas cada 6 meses para profilaxis y aplicación de agentes remineralizantes (figura 4).

Estas medidas brindan protección y favorecen un diagnóstico temprano y un tratamiento oportuno ante cualquier patología orofacial.

Desafíos para el odontólogo y el entorno familiar

El manejo odontológico de pacientes asmáticos presenta varios retos clínicos. Según Rodríguez y Espinosa (2022), la mayoría de los estudiantes de odontología desconocían los protocolos específicos para atender a pacientes con asma. Esta falta de preparación puede conducir a decisiones clínicas inapropiadas, como el uso de materiales contraindicados o la omisión de medidas preventivas necesarias.

El odontólogo debe estar preparado para reconocer los signos de una crisis asmática, evitar medicamentos que puedan inducir broncoespasmo y establecer protocolos de atención pre, intra y postoperatoria adecuados (Vallina et al., 2018). Asimismo, los padres deben ser instruidos sobre

la importancia de mantener un régimen estricto de higiene bucal y de acudir regularmente al odontopediatra, especialmente cuando el tratamiento médico es prolongado.

Conclusiones

El impacto del asma en la salud bucal es real, multifactorial y clínicamente relevante. Aunque algunos estudios difieren en sus hallazgos sobre la prevalencia de caries, existe consenso en que el uso prolongado de medicación inhalatoria, junto con una higiene oral deficiente, puede desencadenar una variedad de problemas orales, desde erosión dental y candidiasis hasta maloclusiones.

Frente a este escenario, odontólogos y padres deben trabajar de la mano para identificar riesgos, educar sobre medidas preventivas y brindar un acompañamiento multidisciplinario oportuno que garantice no solo una boca sana, sino también una mejor calidad de vida para el niño asmático.

Figura 3. Erosión dental.
Figura 4. Prevención con agentes remineralizantes.

Referencias

1. Cáceres, D., et al. (2024). Afecciones bucales asociadas al uso de corticosteroide en aerosol en paciente pediátrico. Revista De Odontopediatría Latinoamericana, 14. https://doi. org/10.47990/njq0af40

2. Carhuamaca, D., et al. (2019). Riesgo de caries dental en pacientes pediátricos asmáticos en tratamiento con la terapia inhalatoria de salbutamol y budesonida, Perú. Revista De La Facultad De Ciencias Médicas De Córdoba, 76(4), 222-226. https://doi.org/10.31053/1853.0605. v76.n4.24275

3. Chhabra, K., et al. (2021). Dental Management of Pediatric Patients with Bronchial Asthma. Int J Clin Pediatr Dent, 14(5), 715–718. https://doi.org/10.5005/jp-journals-10005-2024

4. Chumpitaz-Cerrate, V., et al. (2020). Influencia del uso de inhaladores sobre la caries dental en pacientes pediátricos asmáticos. Arch Argent Pediatr, 118(1), 38-43. http://dx.doi. org/10.5546/aap.2020.38

5. Dhinsa, K., et al. (2021). Evaluación de la calidad de vida relacionada con la salud bucal en pacientes con enfermedades sistémicas. International Journal of Clinical Pediatric Dentistry.

6. Domenzain, A., et al. (2021). Manifestaciones bucales en pacientes pediátricos con asma. Revista De Odontopediatría Latinoamericana, 11(2). https://doi.org/10.47990/alop.v11i2.265

7. Gereda, José E, Arruda-Chaves, Erika de, Larco, José, Matos, Edgar, & Runzer-Colmenares, Fernando M.. (2024). Asma grave: fisiopatología, diagnóstico y tratamiento. Revista alergia México, 71(2), 114-127. Epub 30 de agosto de 2024.https://doi.org/10.29262/ram.v71i2.1283

8. Rodríguez, Y., & Espinosa, C. (2022). Las manifestaciones en pacientes adultos con asma y su manejo odontológico. Universidad y Sociedad, Universidad de Cienfuegos.

9. Vallina, C., et al. (2018). Manejo y consideraciones clínicas de los pacientes asmáticos en la consulta dental. Cient. Dent., 15(3), 217-224. https://coem.org.es/pdf/publicaciones/cientifica/vol15num3/pacientesasma.pdf

Cepillado dental en niños con TDAH: ¿son las apps un buen complemento?

Sara Lizbeth Solorio Hurtado

Tutor: Dra. Maricruz Pérez Pérez

Centro Educativo Multidisciplinario en Rehabilitación Oral

Para los niños con Trastorno por Déficit de Atención e Hiperactividad (TDAH), la práctica del cepillado dental puede representar un desafío, pese a ser esencial para mantener una adecuada salud bucal. La dificultad para sostener hábitos diarios —incluida la higiene oral— puede verse afectada por características propias del TDAH, como la inatención, la impulsividad y la hiperactividad.

Ante esta situación, muchos padres se preguntan qué métodos o estrategias pueden ayudar a mejorar y complementar el cepillado dental en sus hijos. En este contexto, las aplicaciones móviles diseñadas para promover hábitos saludables surgen como una herramienta de apoyo potencial.

El objetivo de esta investigación es evaluar el potencial del uso de aplicaciones móviles en niños con TDAH para establecer rutinas de higiene oral, analizando sus ventajas y desventajas.

Palabras clave: TDAH, aplicaciones móviles, higiene oral, cepillado dental

Cepillado dental en niños con TDAH: ¿son las apps un buen complemento?

Diciembre 2025

Hoy en día existen diferentes métodos que pueden utilizarse para complementar el cepillado dental en niños con TDAH. Muchos padres se cuestionan cuál es el método más eficaz, aunque su efectividad puede variar de una persona a otra. Surge entonces la pregunta: ¿las aplicaciones móviles pueden ser un buen complemento para el cepillado dental?

El Trastorno por Déficit de Atención e Hiperactividad (TDAH) se encuentra entre los padecimientos más frecuentes en la psiquiatría infantil y adolescente, con una prevalencia superior al 5% (Drechsler et al., 2020). Este

Figura 1. Ilustración de un niño con TDAH. Nota: TDAH caracterizado por impulsividad, inatención e hiperactividad. Adaptado de (Fisiolution, 2020).

trastorno afecta de manera distinta según la edad y el género, siendo más común en niños que en niñas.

El TDAH se caracteriza por tres componentes principales: inatención, impulsividad e hiperactividad.

• Una persona con inatención puede tener dificultades para concentrarse, mantener la atención y organizar sus actividades.

• Una persona hiperactiva suele moverse constantemente o mostrar una inquietud excesiva.

• Una persona impulsiva puede actuar sin pensar o tener problemas para controlar sus reacciones.

Los pacientes con TDAH suelen mostrar descuido en tareas cotidianas, escolares o laborales, y dificultad para mantener la atención en los detalles (Salari et al., 2023).

Desarrollo

El Trastorno por Déficit de Atención e Hiperactividad (TDAH) se define como “un patrón persistente de falta de atención y/o hiperactividad-impulsividad que interfiere con el funcionamiento o el desarrollo. Presenta síntomas que se manifiestan en dos o más entornos (por ejemplo, en el hogar, la escuela o el trabajo; con amigos o familiares; o en otras actividades) e impacta de manera negativa y directa el funcionamiento social, académico o laboral” (Gurnani, Naik, Dsouza y Thakur, 2023).

Este trastorno puede dificultar la concentración y el mantenimiento de la atención, influyendo de forma negativa en el establecimiento de rutinas diarias como el cepillado dental. Esta falta de regularidad en la higiene oral puede incrementar el riesgo de padecimientos bucales, entre ellos la caries dental y las enfermedades periodontales, como se muestra en la Figura 1

Pero ¿qué pasaría si ofreciéramos un método entretenido para el cepillado dental? Algo que eliminara lo tedioso de este hábito y lo hiciera más atractivo para los niños.

La literatura reciente destaca que el uso de teléfonos inteligentes puede mejorar la adherencia a las recomendaciones de higiene bucal. Existe un número creciente de aplicaciones móviles

El Trastorno por Déficit de Atención e Hiperactividad (TDAH) se encuentra entre los padecimientos más frecuentes en la psiquiatría infantil y adolescente, con una prevalencia superior al 5%

Cepillado dental en niños con TDAH: ¿son las apps un buen complemento?
Figura 2. Aplicación Pokemon Smile. Nota: Referencias fotográficas de cómo se usa la aplicación. Adaptado de Clínicas Dra. Cristina Viyuela + Co, 2022.

centradas en el paciente, diseñadas específicamente para fomentar y supervisar los hábitos de cepillado (Sharif y Alkadhimi, 2019).

Estas aplicaciones pueden incrementar la motivación y facilitar la práctica diaria de la higiene oral. Gracias al

avance tecnológico, las herramientas digitales se han convertido en un recurso útil para el desarrollo de hábitos saludables, como se ilustra en la Figura 2

Los niños con TDAH requieren mayor apoyo en lo referente a la higiene bucal y a los hábitos alimentarios. Es recomendable que sean examinados con mayor frecuencia entre las consultas de control dental, con el fin de prevenir la progresión de la caries dental, la cual puede presentarse con mayor facilidad debido a sus comportamientos relacionados con la salud oral (Begnini, Brancher, Guimarães, De Araujo y Pizzatto, 2019).

Es posible que los niños con este trastorno no sigan adecuadamente las

.

de las aplicaciones móviles que se compararon. Nota: Captura de pantalla tomada desde el celular.

Figura 3. Cepillado dental técnica horizontal.
Nota: Explicación ilustrativa de cómo se debe realizar la técnica de cepillado horizontal. Adaptado de Tu Amiga Higienista, 2019.
Figura 4
Iconos

indicaciones sobre el tiempo de cepillado, que no completen todas las superficies dentales o que no utilicen la técnica correcta, lo que puede hacer que su cepillado resulte insuficiente.

En estos casos, se recomienda la técnica horizontal, especialmente indicada para niñas, niños pequeños o personas con habilidades manuales limitadas, ya que resulta más sencilla de ejecutar.

Cepillado dental en niños con TDAH: ¿son las apps un buen complemento?

Consiste en colocar las cerdas del cepillo de manera horizontal sobre el diente y realizar movimientos de vaivén de atrás hacia adelante, como se observa en la Figura 3

Las actividades repetitivas o aquellas que los niños consideran aburridas pueden representar un desafío para fomentar la constancia en la higiene bucal. Por ello, es necesario buscar

Tabla 1. Comparación entre app móviles de cepillado dental.

Disney Magic Timer by Oral B

estrategias que resulten más atractivas y que faciliten el aprendizaje y la formación de hábitos saludables.

En este sentido, existen aplicaciones móviles diseñadas específicamente para el cepillado dental, con contenidos visuales llamativos e interactividad, cuyo objetivo es hacer el proceso más divertido y estimulante.

Estas aplicaciones presentan diversas características, entre las cuales destacan:

• Temporizadores visuales y auditivos, que marcan el tiempo de cepillado mediante canciones o videos interactivos.

• Instrucciones visuales y auditivas, que muestran las técnicas de cepillado de manera guiada.

• Personajes animados, que cuentan historias o interactúan con los niños, explicando el proceso de higiene bucal.

Entre las aplicaciones analizadas se incluyen: Brush DJ, Mimizaur, Dental Track, Pokémon Smile, Brush Up, Brushing Hero y Disney Magic Timer by Oral-B, como se muestra en la Tabla 1.

Cabe mencionar que la mayoría de estas aplicaciones están disponibles únicamente en inglés, lo que puede limitar su uso entre una parte importante de la población debido a la barrera del idioma, especialmente en países multilingües (Gurnani, Naik, Dsouza y Thakur, 2023).

Entre los beneficios potenciales de las aplicaciones móviles en niños con TDAH se encuentran:

• Funcionan como refuerzo positivo, ya que ofrecen recompensas virtuales que incentivan el cumplimiento de un cepillado exitoso.

• Aumentan la motivación, al convertir la rutina en una actividad divertida

Tabla 1a. Comparación entre app móviles de cepillado dental.

gracias a personajes y elementos visuales atractivos.

• Mejoran la constancia y la técnica de cepillado, al establecer rutinas guiadas e instrucciones sencillas que favorecen el aprendizaje.

• Facilitan el seguimiento parental, permitiendo que los padres lleven un control del progreso y la consistencia con que sus hijos realizan la higiene bucal, como se ilustra en la Figura 4

En la actualidad existe una gran diversidad de juegos digitales, aunque aún son pocos los que se desarrollan con fines educativos, orientados a favorecer la formación de hábitos saludables e involucrar tanto a los niños como a sus tutores (Morais, Vergara, Brito y Sampaio, 2020).

Si bien las aplicaciones móviles pueden representar un gran apoyo en el aprendizaje y la motivación hacia una buena higiene bucal, es importante considerar que no deben sustituir la supervisión de los padres o tutores durante el cepillado. Son ellos quienes deben evaluar la adecuación del contenido según la edad del niño, así como verificar su correcta utilización y el impacto real que generan en la práctica del cepillado dental.

Conclusión

Las aplicaciones móviles pueden ser una herramienta útil y positiva para mejorar la técnica y las habilidades del cepillado dental, transformando esta rutina en una actividad más divertida

Cepillado dental en niños con TDAH: ¿son las apps un buen complemento?

y atractiva. Sin embargo, su eficacia depende en gran medida de un uso adecuado y supervisado, ya que, de lo contrario, podrían fomentar una dependencia tecnológica sin mejorar los hábitos de higiene.

Entre las limitaciones más comunes se encuentran la barrera del idioma, pues muchas aplicaciones solo están disponibles en inglés; los errores de funcionamiento o falta de claridad en las instrucciones; y la ausencia de recompensas, lo que reduce su atractivo para los niños.

Por ello, sería deseable impulsar más investigación y desarrollo en este tipo de herramientas, con contenidos más accesibles y adaptados a las necesidades de los niños con TDAH, para que se conviertan en un complemento eficaz y motivador dentro del proceso de enseñanza de la higiene bucal.

Tabla 1b. Comparación entre apps móviles de cepillado dental

Investigación clínica

Referencias

1. Begnini, G., Brancher, J., Guimarães, A., De Araujo, M., & Pizzatto, E. (2019). Oral Health of Children and Adolescents with Attention Deficit Hyperactivity Disorder. International Journal of Clinical Pediatric Dentistry, 12(6), 543-547. doi:https://doi.org/10.5005/jp-journals-10005-1691

2. Clínicas Dra. Cristina Viyuela + Co. (3 de Octubre de 2022). Higiene bucal en niños: las Apps más recomendadas. Obtenido de Higiene bucal en niños: las Apps más recomendadas: https:// cristinaviyuela.com/

3. Drechsler , R., Brem, S., Brandeis, D., Grünblatt, E., Berger , G., & Walitza, S. (2020). ADHD: Current Concepts and Treatments in Children and Adolescents. Neuropediatrics, 51(5), 315-335. doi:https://doi.org/10.1055/s-0040-1701658

4. Fisiolution. (12 de Noviembre de 2020). El TDAH, todo lo que necesitas saber [Ilutración]. Obtenido de Fisiolution: https://fisiolution.com/

5. Gurnani, H., Naik, S., Dsouza, A., & Thakur, K. (2023). Using a mobile phone-based application as an adjunct to facilitate oral hygiene practices in children with Attention Deficit Hyperactivity Disorder (ADHD). European Journal of Paediatric Dentistry, 24(4), 267-271. doi:https://doi. org/10.23804/ejpd.2023.1803

6. Morais, E., Vergara, C., Brito, F., & Sampahio, H. (2020). Serious games for children's oral hygiene education: an integrative review and application search. Serious games para educação em higiene bucal infantil: uma revisão integrativa e a busca de aplicativos. Ciencia & saude coletiva, 25(8), 3299-3310. doi:https://doi.org/10.1590/1413-81232020258.11782018

7. Salari, N., Ghasemi, H., Abdoli, N., Rahmani, A., Shiri, M. H., Hashemian, A. H., . . . Mohammad, M. (2023). The global prevalence of ADHD in children. Italian Journal of Pediatrics, 49(1), 48. doi:https://doi.org/10.1186/s13052-023-01456-1

8. Sharif, M., & Alkadhimi, A. (2019). Patient focused oral hygiene apps: an assessment of quality (using MARS) and knowledge content. British dental journal, 227(5), 383-386. doi:https://doi. org/10.1038/s41415-019-0665-0

9. Tu Amiga Higienista. (10 de Septiembre de 2019). Cuidado específico según la edad. Obtenido de Tu Amiga Higienista: https://www.tuamigahigienista.es/

Rehabilitación de incisivo central con implante diferido y sobrecorrección con injerto óseo particulado y PRGF-Endoret. Caso clínico con 22 años de seguimiento

Rehabilitación de incisivo central con implante diferido y sobrecorrección con injerto óseo particulado y PRGF-Endoret

La rehabilitación del sector estético mediante implantes dentales es una práctica consolidada en odontología; sin embargo, cuando se trata de reemplazar un incisivo central unitario, se han propuesto múltiples protocolos quirúrgicos y protésicos con el fin de obtener un resultado estable y armónico que imite al diente contralateral.1 En muchos casos, la sustitución de un único diente anterior resulta más compleja que la restauración de un segmento completo, ya que lograr una emergencia protésica natural y una integración estética imperceptible entre los dientes adyacentes representa un reto de máxima exigencia.2-3

Para preservar el contorno gingival, diversos protocolos recomiendan la colocación de implantes inmediatos postextracción, combinados con injertos de tejido conectivo y provisionalización inmediata, lo que favorece

Eduardo Anitua DDS, MD, PhD.

Private practice in oral implantology, Eduardo Anitua Institute, Vitoria, Spain. Clinical researcher, Eduardo Anitua Foundation, Vitoria, Spain. University Institute for Regenerative Medicine and Oral Implantology - UIRMI (UPV/EHU-Fundación Eduardo Anitua), Vitoria, Spain.

Corresponding author: Dr. Eduardo Anitua, Eduardo Anitua Foundation; C/ Jose Maria Cagigal 19, 01007 Vitoria, Spain; +34 945160653, eduardo@fundacioneduardoanitua.org.

el mantenimiento de la arquitectura original del diente perdido.3 En otras situaciones, se prefiere la extracción seguida de un período corto de cicatrización de los tejidos blandos, lo que aumenta la proporción de encía queratinizada y permite la colocación temprana del implante con resultados estéticos predecibles a largo plazo.4-5

Actualmente, la elección entre ambas estrategias continúa siendo motivo de debate, ya que existen publicaciones que defienden tanto el protocolo inmediato como el temprano, reportando en ambos casos buenos resultados en la estabilidad de los tejidos duros y blandos a lo largo del tiempo.5-7

Cuando el implante a colocar en el frente estético responde al fracaso de un tratamiento restaurador previo —con frecuencia por fracturas radiculares o por intervenciones endodónticas

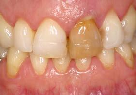
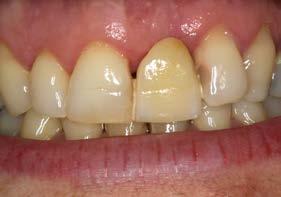
Figuras 1 y 2. Imágenes iniciales de la paciente. Se observa el diente en posición 21 con un cambio de color evidente y supuración espontánea a través del surco gingival. Asimismo, se aprecia el impacto estético del cambio cromático en la sonrisa y en el aspecto del frente anterosuperior.

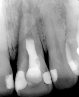
Figura 3. Radiografía de la zona que muestra el tratamiento previo de apiconformación realizado en el incisivo para lograr el cierre apical, actualmente fracasado. Se observa además una lesión quística asociada al ápice.

complejas (apiconformación, revascularización) sin éxito—, suele presentarse un defecto óseo que requiere corrección antes de la rehabilitación. Para abordar esta situación, pueden emplearse distintas técnicas regenerativas previas a la inserción del implante o procedimientos alternativos que permitan restituir la morfología de la cresta alveolar con la mínima morbilidad para el paciente.8-9

Entre estas opciones destaca la técnica de fresado biológico, descrita por nuestro grupo de investigación, que aprovecha el hueso autólogo recuperado durante la preparación del lecho implantario para generar un neoalveolo y emplearlo posteriormente como injerto particulado. La aplicación de este injerto sobre la cresta, en casos de atrofia horizontal o de defectos que comprometen la estética —especialmente en el sector anterior—, constituye un procedimiento mínimamente invasivo que incrementa el volumen vestibular sin necesidad de técnicas regenerativas adicionales.10-12

El hueso particulado se embebe en PRGF-Endoret, lo que maximiza la viabilidad celular al estar suspendido en un medio rico en proteínas y factores de crecimiento autólogos, facilitando su integración biológica. Esta combinación permite confeccionar un injerto compacto, manejable y fácilmente adaptable, con una adhesión suficiente para permanecer en el sitio requerido.13-14 Finalmente, la zona se recubre con una membrana autóloga de fibrina,

que proporciona una liberación sostenida de factores de crecimiento y, al mismo tiempo, crea un espacio protegido que actúa como encofrado para la regeneración ósea.13-14

El caso clínico que se presenta en este artículo ejemplifica la aplicación de estas estrategias en un paciente rehabilitado con implantes tras la extracción dentaria y la regeneración temprana del alveolo con PRGF-Endoret, combinando la sobrecorrección vestibular mediante hueso particulado y el uso de biomateriales autólogos. La relevancia de este caso radica en el extenso seguimiento clínico y radiográfico de 22 años, que ofrece una oportunidad excepcional para valorar la estabilidad funcional, estética y tisular del tratamiento a muy largo plazo.

Caso clínico

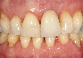
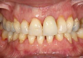
Se presenta el caso de una paciente femenina de 47 años de edad al inicio del tratamiento, quien acude a consulta por dolor y supuración en el incisivo central superior izquierdo. En las imágenes iniciales se observa un diente con un cambio de color llamativo y una supuración espontánea a través del surco gingival (Figura 1). Esta alteración cromática, además de reflejar un problema asociado al diente, afecta de manera significativa la estética del frente anterior, como se aprecia en la imagen de sonrisa (Figura 2).

El diente había sufrido un traumatismo durante la infancia de la paciente y, tras la pérdida de vitalidad pulpar,

Rehabilitación de incisivo central con implante diferido y sobrecorrección con injerto óseo particulado y PRGF-Endoret

se realizó un tratamiento de apiconformación que, al momento de la revisión, mostraba signos de fracaso, con evidencia de infección y clínica sugestiva de fractura radicular (Figura 3).

Como primera fase del tratamiento, se procedió a la exodoncia del diente y a la regeneración del alveolo con PRGF-Endoret, tras un legrado minucioso del lecho. Una vez completada esta regeneración, a las 14 semanas

se llevó a cabo la fase quirúrgica para la colocación del implante.

Se elevó un colgajo a espesor total con márgenes amplios (Figuras 4 y 5), lo que permitió recolectar hueso autógeno de las áreas adyacentes mediante un rascador óseo. Este abordaje facilitó además un cierre primario sin tensión tras la colocación del implante y la sobrecorrección. El hueso obtenido se mantuvo en PRGF-Endoret,

Figuras 4 y 5. Elevación del colgajo, donde se aprecia el lecho alveolar regenerado y la zona donante situada por encima del ápice del diente 11.

fracción 2 sin activar, hasta el momento de su utilización en la zona receptora, preservando la vitalidad celular y mejorando la manejabilidad del injerto particulado (Figura 6). Posteriormente, este hueso se unió al recolectado durante el fresado biológico del lecho.10

El lecho implantario se preparó mediante fresado biológico, ajustado al tipo de hueso y a las dimensiones del implante planificado. A continuación, se procedió a la inserción del implante, que alcanzó un torque de inserción adecuado, permitiendo dejarlo en fase de cicatrización con el pilar

correspondiente colocado. Una vez colocado el implante y el pilar de cicatrización, se realizó una técnica de sobrecorrección vestibular con el injerto particulado inmerso en PRGF-Endoret, recubriendo toda la zona con una membrana autóloga de fibrina (fracción 1 activada y retraída). Se suturó con monofilamento no reabsorbible, sin tensión, para evitar el colapso del volumen vestibular que se buscaba ganar (Figuras 7 a 10). Como provisional se empleó el propio diente de la paciente, ferulizado a los adyacentes con resina, a modo de puente Maryland (Figura 11).

Tras 6 meses de oseointegración, se procedió a la confección de la prótesis definitiva. En aquel momento, hace 22 años, se eligió un biopilar microfresado y una corona metal-cerámica cementada, que representaban la mejor alternativa para garantizar un sellado adecuado y una estética satisfactoria en el sector anterior. En la actualidad, la opción preferible habría sido una prótesis atornillada con un elemento intermedio (transepitelial unitario) y una corona totalmente cerámica cementada a una interfase. No obstante, es importante contextualizar la decisión en función de la época en la que se finalizó el caso (Figuras 12 y 13).

La paciente ha permanecido en seguimiento y mantenimiento clínico durante 22 años, sin evidenciarse pérdidas óseas periimplantarias ni recesión gingival en torno al perfil de emergencia (Figura 14). En la actualidad, se realizó

Figura 6. Hueso autólogo obtenido mediante fresado y rascado de las zonas adyacentes, embebido en PRGF-Endoret fracción 2 sin activar hasta el momento de su utilización.
Figuras 7 y 8. Colocación del implante y sobrecorrección vestibular con injerto particulado embebido en PRGF-Endoret, una vez posicionado el pilar de cicatrización.

Rehabilitación de incisivo central con implante diferido y sobrecorrección con injerto óseo particulado y PRGF-Endoret

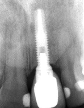
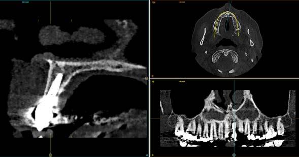
un cone beam de control para valorar el estado de un tratamiento endodóntico en la pieza 26; en el corte seccional correspondiente al implante se aprecia una estabilidad completa, con un volumen vestibular óseo significativo.

Estos hallazgos confirman el éxito del procedimiento quirúrgico y de la posterior carga progresiva, con un mantenimiento óptimo de los tejidos duros y blandos a lo largo de más de dos décadas (Figura 15). Los cambios entre el momento inicial y el final del tratamiento son evidentes, especialmente al comparar la imagen intraoral de la primera visita con la tomada a los 22 años, donde la mucosa que rodea al diente 21 —y posteriormente al implante— se muestra engrosada, en buen estado de salud y con una estética destacable. Asimismo, la comparación entre la radiografía inicial, que evidenciaba el fracaso del tratamiento de conductos del diente en posición 21, y la radiografía a los 22 años, que muestra el implante sin pérdidas óseas asociadas, resulta elocuente (Figuras 16 a 19).

Figura 11. Diente ferulizado tras la cicatrización temprana (una semana), evitando la compresión sobre la zona intervenida.

Discusión

La rehabilitación de un incisivo central con implante representa uno de los escenarios más exigentes de la implantología estética, por el doble objetivo de lograr una integración imperceptible con el diente contralateral y mantener la estabilidad tisular a largo plazo en una zona proclive a la reabsorción tras la exodoncia.1-3 La pared ósea vestibular del sector anterior suele ser muy fina (≤1–2 mm en la mayoría de los casos), lo que incrementa el riesgo de colapso y de recesión mucosa si no se protege de manera adecuada.4-5 En este contexto, la preservación o ganancia del espesor vestibular se considera crítica para alcanzar un resultado estético estable.6

Figura 12. Caso finalizado con la colocación de la corona cementada.

Figuras 9 y 10. Recubrimiento del implante con membrana autóloga de fibrina retraída antes de la sutura. Cierre sin tensión para lograr una cicatrización por primera intención.

Figura 13. Radiografía final con la prótesis recién colocada.

una estabilidad completa del tejido óseo circundante.

Respecto al momento de colocación del implante, tanto el protocolo inmediato como el temprano han mostrado resultados estéticos satisfactorios cuando se seleccionan y ejecutan correctamente. Sin embargo, el riesgo de recesión vestibular es mayor en el protocolo inmediato si no se controla el biotipo y el soporte óseo vestibular, mientras que el protocolo temprano con augmentación de contorno reduce dicha probabilidad al permitir tratar el defecto y estabilizar los tejidos blandos antes de la carga.1,2,7,8

Figuras 16 y 17. Comparación entre la imagen inicial —diente con cambio de coloración, encía inflamada y pérdida de grosor— y la obtenida a los 22 años, que muestra estabilidad y salud gingival con el implante.

En esta línea, dos metaanálisis publicados por Expósito et al. en 201015 y por Sanz et al. en 201216 analizaron la supervivencia de los implantes colocados de forma inmediata frente a los insertados de manera diferida. Ambos coincidieron en señalar la necesidad de disponer de más estudios clínicos para establecer conclusiones sólidas y definitivas.16 Posteriormente, en 2019, Bassir et al.17 retomaron esta cuestión y confirmaron que los implantes colocados en fase temprana presentan tasas de supervivencia comparables a las obtenidas con protocolos de inserción inmediata o diferida.

En el caso presentado, el itinerario biológico —exodoncia, regeneración del alveolo con PRGF-Endoret, inserción temprana con fresado biológico, sobrecorrección vestibular mediante injerto autólogo particulado embebido en PRGF y cobertura con membrana autóloga de fibrina— se alinea con la tendencia actual hacia procedimientos mínimamente invasivos y autólogos

Figura 14. Mantenimiento de los tejidos blandos gingivales en perfecto estado de salud tras 22 años de seguimiento.
Figura 15. Corte seccional del implante en posición 21, donde se observa

Rehabilitación de incisivo central con implante diferido y sobrecorrección con injerto óseo particulado y PRGF-Endoret

que maximizan la estabilidad del reborde.9-12 La sobrecorrección vestibular y la protección del injerto con una membrana de fibrina contribuyen a preservar el volumen periimplantario crítico para la estética, como demuestran los resultados favorables obtenidos en técnicas de augmentación de contorno en colocación temprana con seguimiento a varios años.8

En cuanto al uso de PRGF-Endoret como parte del injerto de preservación vestibular, la evidencia traslacional y clínica respalda su papel proangiogénico y proregenerativo, con mejoras en el confort posoperatorio y en la calidad de los tejidos, además de su utilidad como vehículo autólogo para compactar y manejar el injerto particulado.18-20 En nuestra experiencia, esta combinación —además de mostrar los efectos mencionados— facilita el manejo del injerto, mantiene la viabilidad celular y protege el volumen durante la cicatrización inicial, factores clave en zonas de alta demanda estética.

La principal fortaleza del presente caso radica en su seguimiento de 22 años, un periodo poco frecuente en la literatura sobre estética implantológica. Mientras que las revisiones y cohortes suelen reportar seguimientos de 2 a 10 años,2,3,7 en este caso se documenta la ausencia de pérdida ósea crestal y la estabilidad de los tejidos blandos más allá de dos décadas. Estos hallazgos coinciden con las series que muestran estabilidad cuando se controla el espesor vestibular y se optimiza el protocolo quirúrgico-protésico.1,6-8

En conjunto, los resultados sugieren que la integración de regeneración autóloga mediante PRGF-Endoret, sobrecorrección controlada y carga progresiva puede traducirse en resultados estéticos y biológicos duraderos.

Conclusiones

Este caso respalda que, en incisivos centrales con defecto vestibular y antecedentes endodónticos complejos,

Figuras 18 y 19. Comparación radiográfica entre el estado inicial, con fracaso del tratamiento de conductos del diente 21, y el control a los 22 años, con el implante sin pérdidas óseas asociadas.

la colocación temprana con augmentación de contorno y el uso de biomateriales autólogos (PRGF-Endoret + injerto autólogo particulado) constituyen una estrategia conservadora, predecible y mínimamente invasiva.

El seguimiento clínico y radiográfico de 22 años confirma la estabilidad

de los tejidos duros y blandos, así como la durabilidad estética del tratamiento. Futuros estudios comparativos, con mayor tamaño muestral y seguimiento prolongado, deberían clarificar el impacto incremental de cada componente sobre la estabilidad a largo plazo en zonas estéticas.

Referencias

1. Kan JYK, Rungcharassaeng K, Deflorian M, Weinstein T, Wang HL, Testori T. Immediate implant placement and provisionalization of maxillary anterior single implants. Periodontol 2000. 2018 Jun;77(1):197-212.

2. Testori T, Weinstein T, Scutellà F, Wang HL, Zucchelli G. Implant placement in the esthetic area: criteria for positioning single and multiple implants. Periodontol 2000. 2018 Jun;77(1):176-196.

3. Gomez-Meda R, Esquivel J, Blatz MB. The esthetic biological contour concept for implant restoration emergence profile design. J Esthet Restor Dent. 2021 Jan;33(1):173-184.

4. Arora H, Ivanovski S. Clinical and aesthetic outcomes of immediately placed single-tooth implants with immediate vs. delayed restoration in the anterior maxilla: A retrospective cohort study. Clin Oral Implants Res. 2018 Mar;29(3):346-352.

5. Chochlidakis KM, Geminiani A, Papaspyridakos P, Singh N, Ercoli C, Chen CJ. Buccal bone thickness around single dental implants in the maxillary esthetic zone. Quintessence Int. 2017;48(4):295-308.

6. Hassani A, Hassani M, Bitaraf T. Immediate vs Delayed Restorations of Immediately Placed Single Implants in the Anterior Maxilla: A Nonrandomized Clinical Study. Int J Oral Maxillofac Implants. 2021 Nov-Dec;36(6):1159-1164.

Rehabilitación de incisivo central con implante diferido y sobrecorrección con injerto óseo particulado y PRGF-Endoret

7. Schropp L, Isidor F, Kostopoulos L, Wenzel A. Patient experience of, and satisfaction with, delayed-immediate vs. delayed single-tooth implant placement. Clin Oral Implants Res. 2004 Aug;15(4):498-503.

8. Chiapasco M, Casentini P. Horizontal bone-augmentation procedures in implant dentistry: prosthetically guided regeneration. Periodontol 2000. 2018 Jun;77(1):213-240.

9. Haggerty CJ, Vogel CT, Fisher GR. Simple bone augmentation for alveolar ridge defects. Oral Maxillofac Surg Clin North Am. 2015 May;27(2):203-26.

10. Anitua E, Carda C, Andia I. A novel drilling procedure and subsequent bone autograft preparation: a technical note. Int J Oral Maxillofac Implants. 2007 Jan-Feb;22(1):138-45.

11. Anitua E, Alkhraisat MH, Orive G. Novel technique for the treatment of the severely atrophied posterior mandible. Int J Oral Maxillofac Implants. 2013 Sep-Oct;28(5):1338-46.

12. Anitua E, Alkhraisat MH, Piñas L, Orive G. Efficacy of biologically guided implant site preparation to obtain adequate primary implant stability. Ann Anat. 2015 May;199:9-15.

13. Anitua E, Alkhraisat MH, Orive G. Perspectives and challenges in regenerative medicine using plasma rich in growth factors. J Control Release. 2012 Jan 10;157(1):29-38.

14. Anitua E, Sánchez M, Orive G. Potential of endogenous regenerative technology for in situ regenerative medicine. Adv Drug Deliv Rev. 2010 Jun 15;62(7-8):741-52.

15. Bassir SH, El Kholy K, Chen CY, Lee KH, Intini G. Outcome of early dental implant placement versus other dental implant placement protocols: A systematic review and meta-analysis. J Periodontol. 2019 May;90(5):493-506.

16. Esposito M, Grusovin MG, Polyzos IP, Felice P, Worthington HV. Interventions for replacing missing teeth: dental implants in fresh extraction sockets (immediate, immediate-delayed and delayed implants). Cochrane Database Syst Rev 2010:CD005968.

17. Sanz I, Garcia-Gargallo M, Herrera D, Martin C, Figuero E, Sanz M. Surgical protocols for early implant placement in post-extraction sockets: a systematic review. Clin Oral Implants Res 2012;23 Suppl 5:67–79.

18. Solakoglu Ö, Atilla B. The use of plasma rich in growth factors (PRGF) in guided bone regeneration: a review. J Stomatol Oral Maxillofac Surg. 2020;121(5):445-452.

19. Canellas JVDS, Medeiros PJD, Figueredo CMDS, Fischer RG, Ritto FG. Platelet-rich fibrin in oral surgical procedures: a systematic review and meta-analysis. Clin Oral Implants Res. 2019;30(7):843-858.

20. Anitua E, Sánchez M, Orive G. Potential of endogenous regenerative technology (Endoret-PRGF) for in situ regenerative medicine. Adv Drug Deliv Rev. 2010;62(7-8):741-752

Caso clínico

La capa inhibida de oxígeno y su efecto en la resistencia de la resina compuesta

La capa inhibida de oxígeno y su efecto en la resistencia de la resina compuesta

Introducción: Durante la fotopolimerización de las resinas compuestas, la exposición al oxígeno genera una capa inhibida por oxígeno (OIL, por sus siglas en inglés), la cual contiene monómeros no polimerizados que comprometen la resistencia mecánica, favorecen la pigmentación y reducen la longevidad clínica de las restauraciones. Este estudio tuvo como objetivo evaluar la efectividad de la glicerina como barrera física para reducir la OIL y mejorar la resistencia a la compresión de dos resinas compuestas comerciales: Tetric N-Ceram® (Ivoclar®) y Filtek Z350 XT® (3M®).

Metodología: Se diseñó un estudio in vitro, experimental y comparativo, en el que se evaluaron 8 muestras divididas en 4 subgrupos: control sin intervención, aplicación de glicerina, pulido, y glicerina más pulido. Las muestras se elaboraron bajo condiciones controladas, se fotopolimerizaron con luz natural y posteriormente se sometieron a pruebas de compresión utilizando una prensa hidráulica.

Resultados: Los resultados indicaron que la aplicación de glicerina incrementó significativamente la resistencia a la compresión, especialmente en el caso de la resina Ivoclar®, que mostró un aumento del 44.85% en comparación con el grupo control. En la resina 3M®, los resultados fueron menos consistentes.

Discusión: La interacción entre la intensidad de la unidad de fotopolimerización (UP), el espesor de la OIL y los procesos de acabado sugiere que la glicerina mejora la conversión polimérica y la integridad estructural de las restauraciones.

Conclusión: La glicerina es una estrategia accesible y eficaz para mitigar los efectos negativos de la OIL durante la fotopolimerización, mejorando la resistencia mecánica de las resinas compuestas. Se recomienda ampliar el tamaño de la muestra y explorar otros factores, como el tipo de fotoiniciador y el momento del pulido, en estudios futuros.

Palabras clave: capa inhibida de oxígeno, resina compuesta, glicerina.

Kevin Eduardo Tapia González* Karla Paola González Cabezas**

Benjamín Alberto Lázaro Castillo ***

*Alumno de segundo año de la Especialidad de Rehabilitación Oral en el Centro Educativo Multidisciplinario en Rehabilitación Oral, CEMRO, Tarímbaro, Michoacán.

**Especialista en Rehabilitación Oral del Centro Educativo Multidisciplinario en Rehabilitación Oral, CEMRO, Tarímbaro Michoacán.

***Ortodontista con Maestría en Ciencias Odontológicas, Profesor e investigador del Centro Educativo Multidisciplinario en Rehabilitación Oral, CEMRO, Tarímbaro, Michoacán.

Durante la fotopolimerización de la última capa de la resina compuesta, la difusión de oxígeno en el material inhibe la propagación de la reacción al unirse a los radicales libres, formando la capa inhibida por oxígeno (OIL, por sus siglas en inglés). Este fenómeno puede generar una fotopolimerización incompleta, lo que ocasiona una pigmentación más rápida y una resina con baja resistencia mecánica. El objetivo de esta investigación fue demostrar la efectividad de la eliminación de la capa inhibida por oxígeno y evaluar la resistencia de la resina mediante una prensa de compresión.

Cuando las resinas dentales se fotopolimerizan en contacto con el aire, se forma una capa superficial de monómeros no polimerizados, conocida

como capa inhibida por oxígeno. Esta capa se caracteriza por contener resina sin polimerizar y bajos niveles de fotoiniciador, debido a la alta reactividad del oxígeno con los radicales libres. Su espesor desempeña un papel clave: una capa delgada permite una buena integración entre compuestos, mientras que una más gruesa puede reducir la resistencia mecánica y generar discontinuidades en la interfaz1 (Panchal, 2020). Las propiedades ácido-base de los polímeros favorecen la formación de enlaces de hidrógeno con ciertos líquidos en la interfaz2 (Yamaji, 2013).

Para contrarrestar este efecto, se han explorado distintas soluciones que actúan como barreras al oxígeno. Entre ellas, la glicerina natural se destaca como una opción prometedora, comparada con la versión comercial (DeOx®, marca Ultradent®), por su compatibilidad biológica, bajo costo y fácil acceso. Su uso contribuye a mejorar la calidad superficial, la resistencia mecánica y el comportamiento clínico del material restaurador3 (Torres Reyes, 2018).

Las resinas compuestas han evolucionado con el tiempo, mejorando en múltiples aspectos; sin embargo, aún presentan limitaciones, como su tendencia a la decoloración, lo que puede comprometer la durabilidad y el

éxito clínico de las restauraciones4 (Rodríguez G., 2008). La estabilidad del color está influenciada por factores internos (como la composición de la matriz y el tipo de fotoiniciador) y externos (como la dieta, la higiene oral o la exposición a radiación). Un factor adicional que afecta esta propiedad es la capa superficial inhibida por oxígeno, la cual no se elimina por completo mediante el pulido y puede aumentar la susceptibilidad a la pigmentación5 (Ramírez-Fernández, 2022). Sustancias como el café, el té y la cúrcuma han demostrado tener un impacto negativo sobre dicha estabilidad6 (Roslan, 2018). Por ello, se ha propuesto el uso de glicerina durante la fotoactivación como estrategia para reducir esta capa y mejorar la resistencia al manchado, especialmente en zonas de difícil acceso7 (Vinicius Marcus, 2018).

Asimismo, se han desarrollado técnicas como HeRO (Helium Rich Operatory) y ArRO (Argon Rich Operatory), que buscan prevenir la formación de la capa inhibida por oxígeno durante la fotopolimerización de resinas. Consisten en la inyección de helio o argón en forma de chorro constante sobre el campo operatorio directamente en el área de la resina a fotopolimerizar8 (Cárdenas, 2022).

Las restauraciones de resina compuesta tienen una vida útil limitada, siendo las

Tabla 1. Muestras de Resina.

caries secundarias marginales la principal causa de fracaso9 (Figueroa-Gordon, 2025). También influyen factores como fracturas, deterioros marginales, sensibilidad dental y cambios de color10 (Gómez Morales, 2024). La longevidad de estas restauraciones es clave en la toma de decisiones clínicas, aunque muchos pacientes desconocen este aspecto y rara vez se contempla en los presupuestos odontológicos11 (Moncada G. V.-J., 2015). Diversos factores, como el tamaño de la restauración, el riesgo de caries, la posición del diente, el material utilizado y la habilidad del operador, afectan la duración12 (Vélez Astudillo, 2020). Su reemplazo ha sido el tratamiento habitual frente al fracaso, aunque implica la pérdida de tejido sano13 (Elizalde, 2024).

La capa inhibida por oxígeno puede interferir con la adhesión entre capas de resina, comprometiendo tanto la resistencia como la longevidad de la restauración14 (Cosío Dueñas, 2025). En restauraciones indirectas, puede causar fallos adhesivos si no se aplican protocolos adecuados, aunque la elección del material depende del compromiso estructural. La oferta comercial también plantea dudas sobre la durabilidad y eficacia comparativa entre restauraciones directas e indirectas15 (Quisiguiña Guevara, 2020).

La biocompatibilidad de las resinas compuestas (RC) es fundamental, ya que no deben liberar sustancias tóxicas ni generar reacciones adversas. Su endurecimiento se logra mediante fotopolimerización, utilizando luz

La capa inhibida de oxígeno y su efecto en la resistencia de la resina compuesta

halógena o LED y canforoquinona como fotoiniciador16 (De León, 2022).

La creciente demanda estética por parte de los pacientes ha impulsado la innovación en materiales y técnicas restauradoras. La calidad del acabado y del pulido es crucial, ya que influye no solo en el aspecto final y el brillo de la restauración, sino también en su longevidad y en la salud periodontal. Una superficie bien pulida reduce la retención de placa, previene manchas y caries secundarias, y mejora la compatibilidad con los tejidos blandos17 (Servian, 2019).

Objetivo general

Evaluar la efectividad de la glicerina como barrera contra la capa inhibida por oxígeno, determinando su influencia en la resistencia a la compresión de las resinas compuestas Tetric N-Ceram® e Filtek Z350 XT® (3M®), mediante el uso de una prensa hidráulica para la obtención de los resultados.

Metodología

Se realizó un estudio in vitro, experimental, transversal, comparativo y analítico, en el que se evaluaron 8 muestras.

Los criterios de inclusión fueron: resinas no caducadas utilizadas para la elaboración de cilindros con un espesor de 6.5 mm, aplicadas en un solo incremento y fotopolimerizadas con lámpara LED Azdent®. Bajo estos criterios se excluyeron 2 muestras que no cumplían con el tamaño requerido.

Figura 1. Preparación de muestras de resina compuesta. A) Empacado de resina en tubo anestésico. B) Colocación de glicerina. C) Aplicación de pulido. D) Fotocurado de la resina. E) Resultado de muestras.

La muestra se dividió en 4 subgrupos, cada uno con una muestra de resina compuesta Tetric N-Ceram® y otra de resina Filtek Z350 XT® (3M®) (Tabla 1):

• Grupo A (control): muestras sin manipulación.

• Grupo B: muestras con aplicación de glicerina.

• Grupo C: muestras sometidas únicamente a pulido.

• Grupo D: muestras con aplicación de glicerina y técnica de pulido final.

Las muestras se elaboraron en un entorno clínico odontológico, utilizando exclusivamente luz natural y excluyendo cualquier fuente artificial. La superficie de trabajo fue desinfectada y cubierta con un campo estéril para

garantizar una manipulación aséptica. Se emplearon barreras de protección, incluyendo guantes, mascarilla, gafas, gorro y bata, con el propósito de evitar la contaminación de las muestras.

Para los moldes se utilizaron cartuchos de vidrio de anestésico, los cuales se esterilizaron mediante un ciclo en autoclave húmedo para eliminar impurezas. El émbolo de cada cartucho se desplazó 6.5 mm hacia el interior, generando el espacio necesario para la inserción y compactación de la resina, aplicada en un único incremento con una espátula de teflón HU-FRIDEY®.

La compactación final se realizó utilizando una loseta de vidrio, con el fin

de obtener una superficie plana. Cada muestra se fotopolimerizó dentro del mismo cilindro del cartucho de anestésico (Figura 1):

• Grupo A: solo fotopolimerización.

• Grupo B: aplicación de glicerina y fotopolimerización durante 20 s a 1 mm de distancia con lámpara LED Azdent®.

• Grupo C: pulido con discos Rubber Polisher Azdent®.

• Grupo D: aplicación de glicerina y posterior pulido con discos Rubber Polisher Azdent®.

Para extraer las muestras de los cartuchos, estos se sumergieron en agua a 100 °C durante 3 minutos, seguidos de un enfriamiento brusco en agua con hielo. Este proceso provocó la fractura del vidrio, permitiendo la liberación de las muestras sin aplicar presión directa18 (Velazco Nieto, 2025).

Los discos de resina se almacenaron en estuches portaprótesis etiquetados y fueron sometidos a una prensa hidráulica para evaluar su resistencia a la compresión. Las pruebas se realizaron en el Laboratorio de Estudios Geotécnicos y Control de Calidad de los Materiales en Morelia, Michoacán, en una sola jornada de 3 horas.

Durante el ensayo, las muestras se colocaron de manera perpendicular a la base de la prensa y se aplicó una velocidad constante de 1.27 mm/min hasta su fractura. (Figura 2)

La capa inhibida de oxígeno y su efecto en la resistencia de la resina compuesta

Resultados

En el grupo correspondiente a la resina Ivoclar®, la muestra B (con aplicación de glicerina) presentó una resistencia a la compresión 44.85% mayor que la muestra control (A), siendo el valor más alto registrado dentro de este grupo.

En la resina 3M®, los resultados no coincidieron con los observados en la marca Ivoclar®, mostrando valores absolutos más altos, aunque con ciertas irregularidades que afectaron la consistencia de las mediciones.

Al comparar los grupos de la resina 3M®, se observó que la muestra B (con glicerina) obtuvo una resistencia 62.14% superior a la del grupo control (A). Los valores detallados se presentan en la Tabla 2.

Discusión

La resistencia mecánica de las resinas compuestas está estrechamente relacionada con múltiples factores que intervienen tanto durante la fotopolimerización como en los procesos postoperatorios. Entre los elementos más determinantes destacan la presencia de la capa inhibida por oxígeno (OIL) y la intensidad luminosa de la unidad de fotopolimerización (UP).

De León y colaboradores demostraron que el uso de una UP de alta intensidad (> 800 mW/cm2) favorece un mayor grado de conversión (GC), lo que genera una red polimérica más

Figura 2. Realización de prueba de compresión. Determinación de la resistencia a la compresión simple, de los especímenes de FILLTEK Z30 XT 3M ® y TETRIC N-CERAM

REFILL IVOCLAR ®, mediante la utilización de la prensa de compresión VRS, capacidad de 3 toneladas. A) Distribución de muestras en grupo, B) Muestra de resina IVOCLAR ® en prensa de compresión. C) Aplicación de fuerza.

D) Organización para muestras pulverizadas.

E) Prensa de compresión. F) Muestra de resina 3M ® en presa de compresión. G) Resina Ivoclar ® después del muestreo. H) Resina 3M® después del muestreo.

entrecruzada, con mejor resistencia flexural y mayor módulo de elasticidad. En cambio, intensidades bajas (< 400 mW/cm2) inducen estructuras poliméricas más lineales, afectando negativamente la resistencia mecánica de la restauración16 (De León, 2022). Esta evidencia refuerza la hipótesis de que la OIL no es el único factor responsable de la debilidad superficial de la resina; una fotopolimerización insuficiente puede amplificar sus efectos. Una UP subóptima puede incluso perpetuar la presencia de compuestos no polimerizados, facilitando la pigmentación y comprometiendo la adhesión interfacial entre capas.

El acabado y pulido inmediato también se ven comprometidos por la presencia de una OIL espesa. Se ha reportado que hasta un 30% de la resina no se encuentra completamente polimerizada

inmediatamente después de la activación, lo que justifica retrasar el pulido para evitar daños térmicos y mejorar la dureza superficial. Además, una OIL de mayor espesor actúa como zona de acumulación de pigmentos y reduce la microdureza, como se evidenció en el comportamiento de los giomers tratados con Mylar azul (Beautifil II LS®), según Roslan6 (2018).

El uso de barreras físicas como la glicerina y las tiras de Mylar ha demostrado ser eficaz. Torres Reyes3 (2018) documentó que la glicerina mejora la proporción química de la red polimérica, aumentando el grado de conversión y reduciendo la formación de OIL. Los resultados de la presente investigación sugieren que este efecto se potencia al emplear una UP de alta intensidad, lo cual indica un comportamiento sinérgico entre ambos

factores. Asimismo, técnicas como HeRO y ArRO buscan evitar la interferencia del oxígeno mediante la creación de un ambiente libre de aire durante la activación, aunque su aplicación clínica aún se ve limitada por cuestiones logísticas8 (Cárdenas, 2022).

Conclusión

El presente estudio demostró que la aplicación de glicerina como barrera contra el oxígeno durante la fotopolimerización mejora significativamente la resistencia a la compresión de las resinas compuestas Tetric N-Ceram®. En el grupo tratado únicamente con glicerina (B), se observó un incremento del 44.85% en la resistencia de la resina Ivoclar® respecto al grupo control, lo que confirma el efecto positivo de este agente sobre la integridad estructural de los materiales restauradores.

capa inhibida de oxígeno y su efecto en la resistencia de la resina compuesta

La metodología empleada permitió evidenciar cómo la presencia de la capa inhibida por oxígeno reduce el desempeño mecánico del material, y cómo la glicerina, al minimizar dicha capa, favorece una mayor conversión polimérica. Aunque los resultados de la resina 3M® mostraron ciertas irregularidades, su comportamiento general respalda la utilidad de la glicerina como una estrategia clínica accesible y eficaz.

Estos hallazgos aportan evidencia sólida sobre la importancia de controlar la interacción entre el oxígeno y los radicales libres durante la fotopolimerización, lo cual puede traducirse en restauraciones más duraderas y clínicamente estables. Se sugiere ampliar el tamaño muestral en futuras investigaciones y explorar otras variables, como el tipo de fotoiniciador y la comparación entre técnicas de acabado inmediato y diferido.

La
Tabla 2. Resultados de prensa de compresión.

Referencias

1. Panchal, A. C., Asthana, G. Capa de inhibición de oxígeno: Un dilema a resolver. Revista de odontología conservadora : JCD, 2020, 254–258.

2. Yamaji, A., Koga, K., Tsujimoto, A., Shimizu, Y., Tsubota, K., Takamizawa, T., & Miyazaki, M. Influence of oxygen-inhibited layer on dentin bond strength of chemical-cured resin composite. . European journal of oral sciences, 2013, 497–503.

3. Torres Reyes, P., Hinojosa Barrera, J., Cavazos, E., Ortiz Díaz, J., Aguilera-Rojas, S., & Méndez González, L. Effectiveness natural glycerin and oxygen barrier solution in composite-resin restorations. IADR/PER. 2018

4. Rodriguez G, Douglas R, & Pereira S, Natalie A. Evolución y tendencias actuales en resinas compuestas. Acta Odontológica Venezolana, 2008, 381-392.

5. Ramírez-Fernández, Lisandra., Colán-Guzmán, Paola., Valencia-Heredia, Joel., Guevara-Canales, Janet., & Morales-Vadillo, Rafael. ¿La glicerina influye en la estabilidad del color de la resina compuesta? Revista Cubana de Estomatologia,2022, 1-6.

6. Roslan, Husniyati & Maniam, Premalatha & Suhaimi, Fatanah & Omar, Ahmad. Color Stability of Acrylic Denture Teeth Exposed to Black Coffee and Turmeric . Conference on Biomedical Engineering and Sciences, 2018, 529-532.

7. Vinicius Marcus, inhoretia mario, Rontani Julia. O uso do gel de glicerina melhora a estabilidade de cor de resinas compostas? REVISTA DE ODONTOLOGIA DA UNESP, 2018, 256-260 .

8. Cardenas, I. Técnica hero y arro para evitar la formación de la capa de inhibición por oxígeno al fotopolimerizar resinas dentales. RODYB, 2022, 22-25.

9. Figueroa-Gordon, M. Caries secundaria. Acta Odontológica Venezolana, 2025, 474-480.

10. Gómez Morales, A. J., & Peña Arosemena, L. Factores que influyen en una óptima fotopolimerización. Revista científica universidad odontológica dominicana, 2024, 1-10

La capa inhibida de oxígeno y su efecto en la resistencia de la resina compuesta

11. Moncada, G., Vildósola, P., Fernández, E., Estay, J., De Oliveira-Junior, O. B., & Martin, J. Increased longevity of resins based composite restorations and their adhesive bond: a literature review. Revista Facultad De Odontología Universidad De Antioquia, 2015, 127–153.

12. Vélez Astudillo, Rómulo Andrés, Alvear Córdova, María Cristina, & Villavicencio Caparó, Ebingen. Evaluación del riesgo de caries en escolares con discapacidad intelectual. Revista odontológica mexicana, 2020, 233-242.

13. Elizalde, J.,1 Morales, B.,2 Cordero, M.,3 Pinos, P. Reemplazar o reparar restauraciones de resina compuesta; rodyb, 2024, 22-28.

14. Cosio Dueñas, Herbert, García Sánchez, Gladys, & Lazo Otazú, Liceth. Sorción de humedad y resistencia a la disolución ácida de dos ionómeros de vidrio de restauración: estudio in vitro. Odontología Vital. Odontología Vital, 2025, 49-56.

15. Quisiguiña Guevara, Sandra Marcela, & Zurita Solis, Myriam Katherine. Resistencia flexural y estabilidad de color en resinas híbridas y cerómeros empleadas en restauraciones indirectas. Revista Eugenio Espejo, 2020, 95-104.

16. De Leon, Elisa; Paula, Teske, Ana; Pais, Belen; Grazioli, Guillermo. Efecto de la intensidad de las unidades de fotopolimerización sobre la biocompatibilidad y resistencia a la flexión de una resina compuesta. Odontoestomatología, 2022, 1-13

17. Servian, Lourdes . Importancia del acabado y pulido en restauraciones con resina compuesta en dientes anteriores. Revista cientifica de salud, 2019, 52-56.

18. Velazco Nieto, K. del R., Lázaro Castillo, B. A., & Morales, J. Comparación de la resistencia compresiva de resina bulk fill fotocurada con distintas lámparas LED. Odontología Actual, 2025, 54-60.

Niveles de estrés en estudiantes de Odontología

Niveles

La odontología es una rama de las ciencias de la salud enfocada en el estudio integral de la cavidad oral, la prevención, restauración y tratamiento de patologías, así como en el análisis de diversos padecimientos. Al pertenecer al área de la salud, esta disciplina exige a cada uno de sus estudiantes y profesionistas una total dedicación y esfuerzo para desarrollarse con éxito en cada una de sus áreas académicas.

Dicho esfuerzo ha generado, en diversas generaciones, una sobrecarga emocional que puede provocar manifestaciones que repercuten en el bienestar físico y mental, especialmente en el ámbito académico. El exceso de trabajo y la presión constante pueden originar en los adultos jóvenes un estrés académico, que a su vez desencadena diferentes manifestaciones clínicas.

Palabras clave: estrés, ansiedad, depresión, homeostasis, organismo, odontología, estudiantes

C.D. Isis Glez. Villavicencio Odontología General y Docencia universitaria

Figura 1.

Desarrollo

Se realizó un sondeo entre estudiantes universitarios con el fin de analizar las circunstancias físicas y psicológicas derivadas de la carga de trabajo académico. Participaron 82 estudiantes de entre primer y quinto semestre de la Licenciatura en Odontología, con edades comprendidas entre 17 y 30 años, de distintos géneros e ideologías religiosas.

Para comprender los resultados de este sondeo, es necesario revisar algunos conceptos clave y entender qué efectos puede tener el estrés y la sobrecarga emocional en el organismo.

El término estrés puede definirse como la reacción del organismo ante las modificaciones del medio. Clásicamente, se considera como la pérdida de la homeostasis o equilibrio interno, ante la cual el cuerpo responde mediante una alarma o activación del sistema

nervioso, con el fin de adaptarse a la carga o exigencia a la que está siendo sometido el individuo.

En la fisiología del estrés se distinguen tres fases principales.

1. Percepción o filtro de la información externa, donde el organismo recibe el estímulo.

2. Procesamiento de la reacción y toma de decisión ante el estímulo.

3. Activación de la respuesta fisiológica, en la que el cuerpo ejecuta las acciones necesarias para enfrentar la situación.

Posteriormente, el individuo atraviesa las fases del síndrome general de adaptación, descritas por Selye:

Fase de alerta: se secretan hormonas como la adrenalina, cuyo objetivo es proporcionar la energía necesaria para sobrellevar una urgencia. Entre las respuestas del organismo se encuentran

el aumento de la frecuencia cardiaca y respiratoria, y la dilatación de los vasos sanguíneos.

Fase de resistencia o defensa: se presenta cuando el estrés se mantiene de manera constante. En esta etapa se libera cortisol, hormona que sustituye la acción de la adrenalina y ayuda al cuerpo a “resistir”. Aquí pueden observarse respuestas como aumento de peso, hipertensión arterial, diabetes tipo 2, debilidad muscular o fatiga crónica.

Fase de agotamiento: ocurre si el estímulo estresante persiste. Se caracteriza por una alteración hormonal crónica que provoca afectaciones sistémicas debido a la exposición prolongada a hormonas del estrés.

El estrés crónico puede causar diversos padecimientos a nivel cerebral, generando cambios estructurales y

funcionales que contribuyen a la aparición de trastornos psiquiátricos como la depresión, la ansiedad o el estrés postraumático.

Por lo anterior, resulta fundamental conocer el punto de vista de la población estudiantil para identificar los niveles de estrés presentes y, con base en ello, diseñar estrategias académicas que favorezcan un mejor aprendizaje.

Interpretación de las encuestas obtenidas

Con el fin de recabar información de manera clara y concisa, se aplicó un cuestionario de 17 preguntas a los alumnos, abarcando desde información básica hasta reflexiones sobre los cambios que estudiar Odontología ha generado en su estilo de vida.

Del grupo encuestado, 76% reportó que cursar la licenciatura había significado un cambio importante en su estilo de vida, mientras que 4% indicó no haber percibido ningún cambio, y 17% mencionó que aún no podía definirlo. Este último grupo podría corresponder a los estudiantes de primer ingreso, quienes todavía no tienen una noción clara de la complejidad de la carrera.

Asimismo, 46% de los alumnos señaló que el aspecto más afectado de su vida fue el social, al limitar su convivencia con familiares, amigos y pareja. En el ámbito emocional, se observaron cambios de humor frecuentes y menor tolerancia. Otro grupo de estudiantes mencionó que, debido a lo

Figura 2.

extenuante de la licenciatura, se vieron obligados a dejar de lado actividades extracurriculares como deportes, arte o recreación, que anteriormente los mantenían activos en su día a día (Figura 1).

En cuanto a los síntomas físicos, el malestar más reportado fueron las cefaleas, presentes en 62% de los casos, seguidas del insomnio en 45%. Otras afecciones mencionadas incluyeron tensión muscular en hombros, bruxismo, colitis nerviosa, somnolencia, temblores, sarpullido, urticaria y, en menor medida, hipertensión arterial (Figura 2). Además, 50% de los estudiantes refirió dormir en promedio entre 5 y 6 horas diarias, lo que refuerza la presencia de un descanso insuficiente.

En el aspecto emocional, más del 50% de los alumnos manifestó sentir un aumento del nerviosismo. Entre los estudiantes de semestres avanzados, 40% reportó haber experimentado ataques de pánico o ansiedad, siendo el llanto por no sentirse suficiente un signo de alerta frecuente dentro de la población encuestada.

En relación con el trato recibido por parte de docentes y pacientes, los resultados fueron equilibrados: aproximadamente 50% de los alumnos considera que dicho trato es justo y que se comprende la exigencia de una licenciatura del área de la salud, donde la disciplina y el compromiso son esenciales.

Respecto a los factores generadores de estrés, los resultados también se

Niveles de estrés en estudiantes de Odontología

distribuyeron de forma pareja. A los estudiantes se les permitió seleccionar una o más opciones, obteniéndose los siguientes resultados:

El principal factor de estrés fue la atención a pacientes, con 47 votos, ya que en Odontología gran parte de la calificación depende directamente de las prácticas clínicas. Esto genera ansiedad por la cantidad de trabajos a entregar desde los primeros semestres. Sin embargo, no se considera una limitante, pues dichas prácticas son indispensables para el desarrollo profesional del estudiante. En menor proporción, los alumnos señalaron los altos costos del material e instrumental, así como la sobrecarga de información teórica impartida en clase (Figura 3).

Conclusión

La realización de este compendio de información resultó de gran utilidad, en primer lugar, para identificar a los alumnos vulnerables que pudieran encontrarse en riesgo debido a la alta Figura 3.

carga de estrés. Asimismo, permite conocer el contexto actual en el que se desarrollan los jóvenes universitarios, con el fin de adaptar y organizar planes o técnicas de enseñanza acordes a sus necesidades.

Cada licenciatura presenta un grado particular de complejidad; sin embargo, en Odontología, al estar directamente relacionada con la salud de los pacientes, la responsabilidad asumida desde los primeros semestres puede

generar una sobrecarga emocional considerable. Esto puede traducirse en manifestaciones sistémicas y emocionales que afectan de manera directa la salud integral de los estudiantes.

Los tiempos cambian y las tecnologías avanzan, pero no debe olvidarse que para brindar salud a los pacientes, es indispensable contar con personal de la salud sano, tanto física como emocionalmente.

Referencias

1. Fisiología Humana 4e. Asuncion Lopez Calderon Barrera Capitulo 89 Respuesta fisiológica al estrés

2. En tiempos de estrés, haz lo que importa: una guía ilustrada [Doing what matters in times of stress: an illustrated guide] ISBN 978-92-4-000956-1 (versión electrónica) Organización mundial de la salud

3. El estrés y tu salud: Gobierno de Mexico https://www.gob.mx/issste/articulos/el-estres-y-tu-salud?idiom=es

4. El estrés un problema de salud del mundo actual, Rev.Cs.Farm. y Bioq vol.2 no.1 La Paz 2014. ÁVILA, JAQUELINE, Fisioterapeuta y Kinesióloga. Centro de Fisioterapia FisioCenter

Formulario de la encuesta completa: https://docs.google.com/forms/d/e/1FAIpQLSf8wmYn2heLKZZ3Xo1cnx3dzNM12_Rljj-kWav2s-i0zSNkWA/viewform

Turn static files into dynamic content formats.

Create a flipbook
Issuu converts static files into: digital portfolios, online yearbooks, online catalogs, digital photo albums and more. Sign up and create your flipbook.