Pascack Valley, NJ September 2024

Page 1


ABOUT US

Located in Woodcliff Lake in Bergen County, Chestnut Ridge Dental Associates are proud to provide our surrounding communities with all phases of cosmetic and restorative dentistry. Our doctors and oral surgeons use the most advanced technologies to keep you safe and provide compassionate, affordable and complete dental care for all memb ers of your family

In addition to our Drs., we have a friendly and welcoming team that helps walk you through every step of your treatment For your convenience, we have Saturday and evening appointments as well as 24/7 emergency after

Pascack Valley Style!

I hope this letter finds you flourishing and full of encouragement.

Let’s focus on all things style within our community. Style is more than fashion—it’s a reflection of our unique personalities and the rich tapestry of life in the Pascack Valley. From chic boutiques and elegant home decor to the artful ways we express ourselves through music, literature, and conversation, style is the heartbeat of our everyday experiences.

In this issue, we celebrate style in all its forms, recognizing that it is a deeply personal journey. Style evolves with us, reflecting our unique quirks, passions, and aspirations. It is a powerful form of self-expression, telling the world who we are, how we see it, and what we hold dear. Through style, we connect with others who share our aesthetic sensibilities, creating bonds that transcend the ordinary.

As residents of the Pascack Valley, we are fortunate to live in a place that offers so much to inspire and uplift our spirits. This issue is dedicated to helping you explore new paths and perhaps rediscover familiar ones. From local boutiques and artisans to innovative home designs and local experiences, we aim to ignite your creativity and enhance your ‘style’.

Here’s to celebrating the unique style that makes you who you are.

September 2024

PUBLISHER

Anthony Rizzo | anthony.rizzo@citylifestyle.com

PUBLICATION DIRECTOR

Carly Mac Manus | carly.macmanus@citylifestyle.com

SOCIAL MEDIA COORDINATOR

Lucille Rizzo | lucille.rizzo@citylifestyle.com

STAFF PHOTOGRAPHERS

Jeremy Lebled, Clara Wang, Charissa H. Yong

INTERN

Justina Schiavone

PUBLISHER ASSISTANT

Harvey Miguel

CONTRIBUTING WRITERS

Hope Kerner

CONTRIBUTING PHOTOGRAPHERS

Studio 8e8, Dylan LaMora, Abbey Garner, Sam Lennon, Cynthia Battaglia, Liz PoloMy Havana Photography, Boujie Kidz

Corporate Team

CHIEF EXECUTIVE OFFICER Steven Schowengerdt

CHIEF OPERATING OFFICER Matthew Perry

EXECUTIVE DIRECTOR OF HR Janeane Thompson

AD DESIGNER Zach Miller

LAYOUT DESIGNER Antanette Ray

Pascack Valley Realty Market Report

Navigating the local real estate landscape, whether you're a resident, investor, or looking to join our community.

Navigating the Next Chapter: Downsizing Tips for Empty Nesters in Pascack Valley

As a seasoned broker with Christie’s International Real Estate in Westwood, NJ, I’ve had the privilege of assisting numerous empty nesters in the Pascack Valley area as they transition to a smaller home. Downsizing can be an emotional and challenging process, but with the right guidance and approach, it can also be an exciting opportunity for a fresh start. Here are some invaluable tips to help empty nesters navigate this important milestone:

Start Early and Plan Strategically: Downsizing is not a decision to be made hastily. Begin planning well in advance to allow sufficient time to sort through belongings, make decisions, and prepare your home for sale. Create a timeline and checklist to stay organized and on track throughout the downsizing process.

Declutter with Purpose: One of the most crucial steps in downsizing is decluttering your current home. Take inventory of your belongings and identify items that hold sentimental value versus those that are no longer needed. Consider donating, selling, or gifting items that you no longer use or need. Remember, less clutter means less to pack and move to your new home.

Stage for Success: Staging your home is essential to attract potential buyers and maximize its appeal. Remove personal items and excess furniture to create a clean, spacious, and inviting atmosphere. Highlight the unique features of your home and showcase its potential as a comfortable and functional space for the next chapter of your life.

Find the Right-Sized Property: When searching for a smaller home, prioritize your needs and preferences. Consider factors such as location, amenities, layout, and affordability. Work closely with your real estate agent to explore available options

in the Pascack Valley area that align with your lifestyle and budget. Remember, downsizing doesn’t mean sacrificing comfort or quality of life—it’s about finding the perfect fit for this new phase of your journey.

Embrace a Fresh Start: Downsizing is an opportunity to simplify your life, focus on what truly matters, and embrace a fresh start. Embrace the positive aspects of downsizing, such as reduced maintenance, lower expenses, and newfound freedom to pursue your passions and interests. Surround yourself with belongings and memories that bring you joy and create a space that reflects your unique personality and style.

In conclusion, downsizing can be a transformative experience for empty nesters in the Pascack Valley area. By approaching the process with careful planning, decluttering with purpose, staging for success, finding the right-sized property, and embracing a fresh start, you can navigate this transition with confidence and excitement. As your trusted real estate advisor, I am here to support you every step of the way and help you find the perfect home to begin the next chapter of your journey.

DIVORCE AND FAMILY LAW

Ms. Quinn joined Meyerson, Fox & Conte, P.A. as a partner in 2015. Practicing family law exclusively for more than 40 years, Ms. Quinn dedicates her practice to representing clients in all aspects of family and matrimonial law both pre- and post-divorce. She has extensive litigation and appellate experience involving complex alimony and equitable distribution matters including executive compensation and business valuations. Her years of experience and training have enhanced her insight and ability to assist her clients with highly charged emotional issues often present in contested custody and parenting time conflicts.

Ms. Quinn received her Juris Doctorate from Seton Hall University School of Law. During law school she worked in the Center for Social Justice Family Law Clinic. Following her graduation from law school, she served as the judicial law clerk to the Honorable Harvey R. Sorkow, P.J.F.P., former presiding judge of the Bergen County Family Part.

Ms. Quinn is certified by the Supreme Court of New Jersey as an Economic Family Law Mediator and has been appointed by the Court and chosen privately by her peers in the legal community as a Mediator.Prior to joining Meyerson, Fox & Conte, Ms. Quinn was a partner for over 18 years at a well-respected law firm in Hackensack, NJ.

Ms. Quinn is an active participant in the legal community, serving as a past Chair of the District IIB Fee Arbitration Committee and continues as a Chairperson of a Bergen County Family Law Economic Early Settlement Panel. She is a member of the New Jersey State Bar Association, the Bergen County Bar Association, and Women Lawyers in Bergen County.

ATTORNEYS AT LAW

1 Paragon Drive, Montvale, NJ 07645 (201) 802-9202 | www.mfmclaw.com mquinn@mfmclaw.com

PRACTICE AREAS:

Divorce & Family Law / Elder Law / Trusts & Estate Litigation

Guardianship / Real Estate & Land Use / Commercial Litigation

Mediation / Privacy & Internet Law

Marianne Quinn

city scene

WHERE NEIGHBORS CAN SEE AND BE SEEN

SEPTEMBER 2024 @PARKRIDGEFIRE @CELEBRATEWESTWOOD @PARKRIDGEPOLICE

@RIDGEWOODFOURTHOFJULY

@HILLSDALEPDN

1: Arts in the Park this past June, featuring special creations from ArtsHub. 2: PRFD surprised the West Ridge School kindergarten class with a quick cool down this summer. 3: Westwood Regional High School’s French students at Notre Dame Cathedral in Paris! 4: Day one at the 2024 Junior Police Academy: showing recruits physical training and engaging demonstrations. 5: Crusaders Against Cancer club donated arts & crafts supplies for Kyle Egan ‘20 teen lounge at Joseph M. Sanzari Children’s Hospital. 6: Olympians Mitchell Saron and Filip Dolegiewicz celebrated 4th of July in Ridgewood. 7: Hillsdale Youth Leadership Academy: Fun, learning, and teamwork this past June.

@WESTWOODREGIONAL

city scene

8: Empowered Pelvic Health honored as an NJBIZ Healthcare Hero for their outstanding contributions. 9: The Park Ridge Rotary Club 20242025 Installation of it’s new officers. 10: Congratulations to the Fred Astaire dancers who performed at the Summer Showcase this past June. 11: The Woman’s Club of Westwood celebrated another great year of accomplishments! 12: Park Ridge Police Officers rewarded several local children for assisting in cleaning up Colony fields. 13: Mayor Mike Ghassali swore in Mark Pierro to Montvale Police Department this past July. 14: Montvale Police attended Memorial School and shared moments with the future kindergartners of Safety Town!

PARK RIDGE ROTARY CLUB
PARK RIDGE POLICE DEPARTMENT FACEBOOK
MAYOR MIKE GHASSALI FACEBOOK MONTVALE
FRED ASTAIRE ORADELL

15: Lucille Rizzo and Owner Angela of BelFiore Bridal at their open house event in June. 16: BelFiore Bridal’s Open House showcased stunning wedding gowns with exclusive designs 17: Rep. Josh Gottheimer with Fifth District Heroes and Westwood Mayor at new 9/11 memorial unveiling. 18: Rep. Josh Gottheimer honors Hometown Hero Marc Fedorchak and Westwood Councilman Robert Bicocchi 19: Pascack Valley Chamber of Commerce hosted a meeting at Vale Coffee Shoppe this July! 20: Movie night 2024 at Our Lady of Mercy Church in Park Ridge. 21: Summer concert with Alice and Gordon at Our Lady of Mercy Church.

ZACHARY FLORMAN
ZACHARY FLORMAN
LUCILLE RIZZO
LUCILLE RIZZO

WE ARE YOUR “ALL-IN” RECRUITMENT EXPERTS

Over four decades of experience matching the right people with the right positions

SPECIALIZING IN:

Executive/Retained Search

Contingent/Permanent Placements

Contract & Temporary Projects

The Wilner Group is a women-owned, full service, boutique staffing agency. Our passionate team of experts goes “all in” to find the most qualified candidates for the right roles.

We build deep relationships to understand how to best meet your needs. Whether you are an employer seeking top talent or a candidate searching for new opportunities, we pride ourselves on making successful placements based on a good cultural fit.

business monthly

Neiman Marcus Paramus Remodels The Rotunda

Dine at The Rotunda®, the newly remodeled restaurant at Neiman Marcus Paramus, and elevate your lunching experience. Guests can retreat to a fine-dining atmosphere featuring an innovative menu and savor one of the exquisite seasonal entrée selections prepared by the new Executive Chef, Bill McDaniel. For reservations, call (201) 843-7693. The restaurant is open Monday through Saturday from 11 AM to 4 PM.

Photography

Castle Connolly's Top Doctors of 2024

Congratulations to the All Health Medical Group doctors for being named Castle Connolly's Top Doctors of 2024! Your dedication and excellence in patient care are truly commendable.

Scan to read more

Park Ridge Rotary Club Celebrates New President, Brian Landy

The Park Ridge Rotary Club kicked off its 2024–2025 year with the induction of its new President, Brian Landy, and other esteemed officers. Brian Landy, Vice President Branch Manager at M&T Bank, shared his profound insights on the essence of being a Rotarian and his vision for the upcoming year with club members and guests at the recent Installation Dinner. For more information on the Park Ridge Rotary Club email parkridgerotaryclub@gmail.com.

Photography by All Health Medical Group
Photography by Park Ridge Rotary Club

E N T I S T R Y

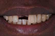
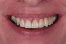
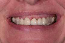
Specialized Care: Dr. Kim is a Harvard-trained prosthodontist who is an expert in “difficult cases,” dental restorations, bite, & implants

Facially-Driven Esthetics: Each tooth is crafted to enhance your face & align with your personality

5 Year Warranty: We stand by our restorative work with a comprehensive warranty

2

The Greater Pascack Valley Chamber of Commerce Honors Jeff Jasper

Every year, the Greater Pascack Valley Chamber of Commerce honors indi-

Sincerely, Your Dentist, Dr Susie Kim

the CITY LIST

We have such amazing, innovative business leaders in our community who are proud to serve you, our residents, with class and quality. We’ve compiled some of our top company picks for the services that might be on your mind this month in an effort to make your lives a little easier.

Boutique

The Good Life Gift Boutique www.thegoodlifeboutique.com | 551.222.9221

Society www.societyfemme.com | 201.722.9300

Threads Westwood www.threadswestwood.com/ | 201.664.1697

Ginger N'Cream www.gingerncream.com | 201.664.2440

Sunique www.suniquestyle.com | 917.903.0310

Furniture Store

Kincaid Home Furnishings www.kincaidfurniturenanuet.com | 845.627.220

Bergen Furniture & Design www.bergenfurniturenj.com | 201.358.1556

CB2 Paramus www.cb2.com | 201.472.5799

Want to suggest a monthly pick?

IN TOUCH

Natuzzi Italia Stores Paramus www.natuzzi.com | 201.445.9100

Modani Furniture Paramus www.modani.com/paramus | 201.689.4666

Somebody's Gotta Do It is an exterior cleaning company focused on softwashing, gutter cleaning and all pressure washing services.

We are fully licensed and insured servicing Bergen County New Jersey and Rockland County New York. All work is performed and guaranteed by the owner operators.

We strive to be the most reliable, consistent, and proficient pressure washing company throughout the area taking pride in our work every step of the way. Softwash | Pressure Wash | Siding | Roofs Driveways | Fences | Patios

Experience Matters

The unique needs of clients in the Pascack Valley and neighboring North Jersey communities are made priority number one.

With a steadfast commitment to excellence, Ms. Gatto is profiled in the Top Attorneys of North America 2024-2025 edition as an attorney who has reached a recognizable degree of success and leadership in the legal profession. Buying or Selling a home is one of the largest financial transactions most people ever take part in. Having completed more than 9,000 throughout her career, she has extensive experience in all types of Real Estate and Business transactions, and individual personal transactions as well.

The Law Office of Janice Gatto is dedicated to serving clients with integrity and professionalism and Ms. Gatto’s distinguished abilities make all the difference. The Law Office of Janice Gatto has provided quality legal services to clients throughout New Jersey for the past 39 years.

to Couture FROM HOUSEWIVES

When it comes to children's fashion, trends change as quickly as a toddler's attention span. Danielle Cabral, a member of 'The Real Housewives of New Jersey,' shines with her vibrant and personalized brand, Boujie Kidz. Cabral’s road to becoming an entrepreneur reflects passion, perseverance, and a touch of Jersey pride.

ARTICLE BY CARLY MAC MANUS | PHOTOGRAPHY BY LIZ POLO - MY HAVANNA PHOTOGRAPHY, BOUJIE KIDZ
Danielle Cabral’s Boujie Kidz Journey, with Jersey Pride

Life was not always so glamorous for Cabral. "I was working in sales and event planning in Manhattan, but I wasn't happy." She shares candidly, “I needed a change. Dressing my kids in unique, over-the-top outfits was always my thing."

Inspired by her love for fashion and driven by a desire to create something of her own, Cabral embarked on a journey that would lead to the birth of Boujie Kidz.

The idea sparked during a late-night Pinterest session. "I created a Pinterest board titled 'New Life' and began envisioning colors and concepts for my business," Cabral explains. "Before I knew it, I was learning to code a website, manage marketing, and even handle shipping logistics."

The name 'Boujie Kidz' itself reflects Cabral's style and personality. "Everybody used to call me ‘bougie’ because I love adding a touch of glitter or sparkle," Cabral laughs. "When naming my brand, 'bougie' felt exactly right. The 'J' in 'boujie' adds a classy twist, and 'Kidz' with a 'Z' gives it that playful edge."

Setting Boujie Kidz apart from other children's clothing brands was crucial for Cabral. "I wanted to offer fun, stylish clothing that's also affordable," she explains. "While high-end stores weren't in my budget as a mom, I made sure Boujie Kidz would cater to budget-conscious parents without compromising on style or quality."

Navigating the retail space posed its challenges, especially with pricing. "I learned the hard way when my first line was too costly to produce locally," Cabral reflects. "But I refused to compromise on affordability. It's about staying relevant and competitive with big retailers like Walmart and Amazon."

As Boujie Kidz gained momentum, Cabral’s role evolved beyond business owner to community figure. "I'm not just the face of Boujie Kidz; I'm also the voice," she emphasizes. "I listen to what parents and kids want. Custom orders, adding rhinestones to socks, or personalizing birthday outfits—these are the touches that make Boujie Kidz special."

Influenced by her own children's preferences, Cabral ensures Boujie Kidz stays ahead of trends. "My daughter is my toughest critic," she laughs. "She keeps me grounded and ensures our designs are trendy and practical."

Taylor Frankie Paul and her daughter in Boujie Kidz!
Valentina Cabral

Balancing a small business and family life is not easy, especially with the added spotlight from television appearances. "My husband and I make a great team," Cabral says gratefully. "We juggle business responsibilities with our kids' activities, and it's a whirlwind, but we manage."

Reflecting on her newfound fame, Cabral remains grounded. "Being on a popular TV show has its perks, but it's not everything," she muses. “It could all end tomorrow. So, I need to build something more than just being on a show about Housewives. I need to have some substance in my career that will take me to the finish line.”

Cabral also emphasizes, "I want Boujie Kidz to stand for more—quality, affordability, and a touch of Jersey flair."

As Cabral looks to the future, she hopes to expand Boujie Kidz while staying true to its roots. "I want to keep growing, maybe bring in more designers," she envisions. "But it's about staying connected to what parents and kids love."

With her blend of creativity, resilience, and Jersey attitude, Cabral's journey with Boujie Kidz is a testament to chasing dreams and embracing every challenge along the way. So, whether you are dressing your kids to the nines or navigating the highs and lows of entrepreneurship, remember to add a touch of ‘boujie’ flair—it is what Cabral and Boujie Kidz are all about.

For more information visit www.boujiekidz.com

SIDE HUSTLE TO SUCCESS

THE STORY OF CXB DESIGNS

ARTICLE BY CARLY MAC MANUS | PHOTOGRAPHY BY DYLAN LAMORA, ABBEY GARNER, SAM LENNON, CYNTHIA BATTAGLIA
Owner - Cynthia Battaglia

It all started with a passion project. Westwood local Cynthia Battaglia, the vision behind CXB Design, recalls how her venture into event decor began as a casual favor for her sisters' weddings while she was still in college. "I had a very creative eye," she explains, "and they saw that potential in me as well as instant connections with their vendors."

Graduating in 2021 with a degree in interior design from High Point University, Battaglia balanced her burgeoning business with a full-time job as an interior designer at Plan Architecture in Washington Township. "It was a lot of hands on deck," she admits, reflecting on the early days of juggling work, school, and her newfound entrepreneurial venture.

Despite the initial challenges, CXB Design flourished through word of mouth. "People started reaching out—friends, friends of friends, and now recurring connections

CONTINUED >

with multiple venues," Battaglia recalls. "It was so cool to see something evolve out of something so unexpected."

CXB Design has evolved from a side hustle into a central passion. "Neither of them feel like work," Battaglia remarks about her dual careers in interior design and event decor. "They're both a passion for me and that’s what I think is most important."

Battaglia emphasizes, "I want to make all of my clients happy," she explains. "It's about building trust and lasting relationships."

When asked about her creative process, Battaglia highlights the collaborative nature of her work. She listens attentively to clients' visions, translating them into cohesive detailed designs that capture the essence of their events. "I take their thoughts and visions, develop a full concept, and about a year or so later turn it into a reality," she says, underscoring her commitment to exceeding expectations.

Battaglia continues to navigate the challenges of entrepreneurship, particularly as a small business owner, and hasn't been without its hurdles. Battaglia admits that balancing work, personal life, and social life has been a demanding struggle. But with the support of a few helping hands, her mother and father, she acknowledges, “I couldn’t do it without them.”

Battaglia envisions expanding CXB Design further as time goes on. Her dream includes owning a boutique storefront where clients can experience her designs firsthand, cementing her role in celebrating life's milestones.

From humble beginnings to aspirations of growth, Battaglia remains steadfast in her commitment to making each client's special day unforgettable.

Email: info@cynthiabattagliadesign.com Phone: 201-815-0215 Website: www.cynthiabattagliadesign.com

Styling Your Smile

The Art and Science of Montvale Prosthodontics

Dr. Sung Eun (Susie) Kim has transformed smiles and lives alike at Montvale Prosthodontics, carving out a niche in the field of prosthodontics that blends artistry with dental science.

Dr. Kim's leap into the world of prosthodontics was not merely by chance but by personal experiences and a desire to make a difference. She shares, "When I was little, I had braces four times." Dr. Kim continues, "And then - I was told I needed jaw surgery, which terrified me. Eventually, after multiple consultations, I opted for the surgery, which left me with a new perspective on dental care and a determination to care for others with compassion."

Owner - Dr. Susie Kim

Armed with a degree in chemistry from Bryn Mawr College and a dental education from Western University of Health Sciences in Los Angeles, Dr. Kim pursued a three-year prosthodontic residency at Harvard. "Those years at Harvard were transformative," she remarks, highlighting how the rigorous training prepared her to handle complex cases with precision and efficiency.

Prosthodontics, as Dr. Kim explains, goes beyond traditional dentistry. "We're the architects of smiles," she describes with a smile of her own. "While general dentists provide essential care, prosthodontists specialize in restoring and enhancing the function and aesthetics of the overall mouth." Whether it's a dental implant, veneers, dentures, or bite analysis, Dr. Kim and her team at Montvale Prosthodontics tailor each treatment plan to meet the unique needs of their patients.

"The goal isn't just to fix teeth; it's about transforming lives," Dr. Kim emphasizes. "A smile that is both healthy and beautiful can be life-changing, boosting confidence and improving overall health."

This holistic approach stems from her belief that oral health is interconnected with general health—a philosophy supported by research linking gum disease to systemic conditions such as heart disease and diabetes.

Beyond the clinical aspects, Dr. Kim takes pride in the artistic aspect of her work. "Styling your smile isn't just about teeth; it's about harmony with your facial features," she explains. "Before any procedure, we design the new smile, considering everything from the health stuff like TMJ, natural bite position, gum health, and cavities, to the fun esthetic stuff like lip contours, amount of tooth show when talking, and tooth color." As they say in biology, "form fits function" and what looks beautiful is healthy and vice versa.

This meticulous planning is evident in every step of Dr. Kim's practice, from initial consultations to final procedures. "We take our time to ensure the patient understands the process and feels comfortable," she notes. "It's not just about fixing a tooth; it's about creating an aesthetic

CONTINUED >

“The goal isn’t just to fix teeth; it’s about transforming lives.” - Dr. Susie Kim
Dr. Susie Kim and her office staff

Opening her practice in April, Dr. Kim faced challenges familiar to many entrepreneurs. "Finding a dedicated team was crucial," she admits. "It took time to assemble a group that shares my commitment to excellence and patient care." Today, Montvale Prosthodontics operates not just as a dental practice but as a haven where patients receive personalized attention and compassionate care.

Looking ahead, Dr. Kim envisions expanding her outreach within the community, educating people, especially the elderly, about the importance of oral health and the transformative power of a well-crafted smile. "It's about more than just dental work; it's about changing perceptions and lives," she reflects.

At Montvale Prosthodontics, Dr. Kim has not only found her calling but has also created a sanctuary where smiles are crafted with precision, care, and artistic flair.

Contact Information:

• Phone: (201) 582-2264

• Fax: (201) 528-5695

• Email: hello@montprosth.com

• Website: www.montprosth.com masterpiece that integrates seamlessly with the patient's natural features."

Montvale Prosthodontics

Clutter causes STRESS.

At The Junkluggers, we do junk removal The Green Way™ by treating customers and their items with care, respect, and by minimizing what ends up in a landfill. For any donations we're able to make on your behalf, you'll receive a tax-deductible donation receipt!

Take lunching to the next level at Rotunda, the newly remodeled restaurant at Neiman Marcus Paramus.

Monday–Saturday 11am–4pm For reservations, call 201.843.7693

White House “Designs For Life”

Owner - Karen Arakelian
ARTICLE BY CARLY MAC MANUS
PHOTOGRAPHY
BY CLARA WANG
Crafting Homes with Timeless Elegance

Overcoming obstacles in home styling often parallels the challenges faced by Karen Arakelian, founder of White House "Designs for Life". Her journey underscores the importance of resilience and adaptability in creating spaces that resonate with personal style and functionality.

Arakelian's passion for interior design was serendipitous. "I started back in 1978. It was kind of by accident," she said. "I was actually in the antiques business and couldn't find good things to sell anymore." This transition led to the establishment of Red Barn Furniture which later became Uptown Country Furniture and then rebranded to White House Living, housed in a historic 1903 dairy farm barn in Wayne.

The evolution continued with the opening of White House "Designs For Life" Furniture in Fairfield, housed in a quaint white house on Bloomfield Avenue. Reflecting on the expansions, Arakelian explained, "In '94, we bought this building that we're in now and decided to renovate it and make it our showroom."

Each showroom offers a unique experience. The Wayne store exudes a more casual vibe, while the Fairfield location is more “designer-oriented.” The Chester location, though smaller, is upscale with many options in the compact space. Meanwhile, the Paramus store stands out as a Hunter Douglas Design Gallery— one of only two in the nation—boasting the largest display of cutting-edge motorized shades, making it a haven for tech-savvy home automation specialists and homeowners alike.

For Arakelian, the obstacles have been varied and significant. Physical obstacles that impacted her stores to navigating the complexities of sourcing during the pandemic, each challenge has shaped her approach to home styling. "We've survived fires and floods," Arakelian said. "The pandemic was bad at first but became a blessing because many people decided to redo their homes."

Such resilience is crucial when styling a home. It involves not only selecting the right furniture and decor but also integrating these elements seamlessly into a cohesive design. At White House "Designs For Life", this process begins with understanding clients' preferences and needs. "When someone comes into our showroom and they like an item, we can put rooms together around it," Arakelian said.

Personalizing spaces goes beyond mere aesthetics; it's about creating environments that reflect individual tastes and lifestyles. Whether through custom window treatments, unique furniture pieces, or curated accessories, the goal is to transform a house into a home that feels distinctly personal.

Arakelian emphasizes the importance of quality and longevity in home decor. "We sell good products. I won't sell anything that I don't believe in," she asserted. This commitment ensures that every piece chosen contributes to the overall aesthetic while meeting high standards of craftsmanship, with the majority of products being sourced from the United States.

Styling a home also involves staying attuned to trends and evolving tastes. Arakelian attends furniture markets to stay ahead of emerging styles and color schemes. This proactive approach enables White House "Designs For Life" to offer clients the latest in home fashion, tailored to both contemporary trends and timeless elegance.

For more information on White House "Designs For Life" and their journey, visit their website www.whdesignsforlife.com or visit one of their four locations across New Jersey.

Fairfield - Luxe & Design Resource Showroom
White House "Designs for Life" Fairfield team!

Paramus (Hunter Douglas Gallery)

Phone: 201-809-3012 | Address: 160 NJ-17 North, Paramus

FAIRFIELD (LUXE & DESIGN RESOURCE)

Phone (Design Resource): 973-575-1331

Phone (Luxe): 973-575-8317

Address: 131 Route 46 West Fairfield, NJ 07004

WAYNE (LIVING)

Phone: 973-831-8300

Address: 867 Black Oak Ridge Rd Wayne, NJ 07470

CHESTER (HOME)

Phone: 908-888-3109

Address: 197 US Hwy 206 Chester, NJ 07930

Karen Arakelian and her son in the Hunter Douglas Showroom!

Noah Khaja, Agent

221 W Grand Avenue Suite 102C

Montvale, NJ 07645

Bus: 201-746-4063

noah.khaja.vadi3j@statefarm.com

Monday-Friday 9 a.m. to 5 p.m.

Evenings & Saturdays by appointment Hablamos Español

Right coverage. Right price. Right here in town.

Here’s the deal. The right insurance should help you feel confident and comfortable. I’m the right good neighbor for that. Call me today.

Like a good neighbor, State Farm is there.®

Reservations Accepted for Parties of 6 people or more Open 7 Days a Week Forget the motherland...the best Italian food is made right here in Montvale NJ.

DAILY LUNCH: Monday - Friday 11 : 30 - 3 : 00 $16- $18 - Includes Entree, Soup and Salad

2 PRIVATE PARTY ROOMS

BYOB: No Uncorking Fee

DO YOU HAVE A

DECLUTTERING STYLE?

DISCOVER YOUR DECLUTTERING STYLE!

Did you know there are different decluttering styles? Have you ever thought about how you approach decluttering or if you do much at all? No matter where you live, the size of your home, or how neat you are, there's often that one space overflowing with "stuff." Just like how you dress or decorate your home in a certain style, there are various decluttering styles to get the job done.

When we work in homes, our style is to focus on one room at a time before moving on to another space. We use the bag (donate), trash, and keep method. This simplifies the process. Most trash items are easily recognizable (junk drawer, anyone?). Clothing that is worn out or items that are broken are also considered trash. Clothing and items that are no longer needed, wanted, or used are donated. As professional organizers, we work side-by-side with homeowners to determine what they use and love versus what they want to keep for sentimental reasons. We understand how items create memories and stir emotions, but if they've been stored away for years and never seen, eliminating them doesn't erase the memories. It simply creates more space and less dust.

Another style is to empty closets and cabinets first before moving on to larger spaces, using the same donate, trash, or keep method. This allows people to work at a slower pace,

focusing on one closet or a few cabinets at a time. This style can seem less overwhelming, allowing them to concentrate on the task at hand for a short duration. This is the "slow and steady" method.

Additionally, clearing off all countertops and surfaces is another style. While it may seem easy at first, it can become challenging because you need to find space for the items you've cleared off the countertops (desks, shelves, etc.). This is where some people become overwhelmed because they haven't emptied out other areas in their home to create space, causing more stress. Many times, that's when we get called to help.

When it comes to decluttering, it doesn't matter which style you prefer, but having a plan is essential. No one ever said the decluttering process is a fun adventure. It's a dreaded task for most people and can be physical, emotional, and yes, dirty. If you get into the habit of regularly putting things away and eliminating others, decluttering won't seem so time-consuming and overwhelming. Once you've finished decluttering, you'll realize what an awesome feeling it is! Are you ready to declutter in style? Welcome to adulthood!

Hope Kerner is a professional organizer whose company, All Things Neat LLC, helps people declutter and organize their homes. All Things Neat provides full-service move assistance, including packing/unpacking, hiring antique appraisers, and coordinating with moving and estate sale companies in Bergen County and surrounding areas. Hope's company also helps families navigate the disbursement of home contents after the passing of loved ones.

OWNERHOPE KERNER

For a free in-home consultation or more information, contact Hope at

www.allthingsneatbyhope.com.  Phone: 973-493-6359

Facebook & Instagram: @allthingsneatbyhope

noah@nha-arch.com www.nha-arch.com @nha.arch noah.arch24

Full Body Workout

POLISHED & CHIC

SALON BOUTIQUE

Owner - Lisa Cascio

A

HAVEN OF BEAUTY AND FRIENDSHIP

Polished & Chic Salon Boutique offers a variety of services tailored to meet every client's needs. The Salon exudes warmth and style, a highlight of owner Lisa Cascio's vision and the camaraderie among her talented staff.

Polished and Chic started as a small salon in Park Ridge, in 2015. As the business expanded, Cascio outgrew her space and moved to the larger bustling Hillsdale location. Her loyal team, MaryAnn Santos

ARTICLE BY CARLY MAC MANUS PHOTOGRAPHY BY JEREMY LEBED

and Deborah Ernst, whose stories intertwine with Cascio’s, moved with her. Santos fondly recalls, "I started working with Cascio in 2003 and followed her when she started Polished and Chic in 2015.” Ernst joined later, drawn in by Cascio's leadership and the promise of a collaborative,

empowering, and nurturing workplace. "I took a chance, and it's the best thing I ever did." Ernst shares enthusiastically.

Both Santos and Ernst are accomplished hair stylists. Santos with 30+ years of experience, excels in highlighting, lowlights, balayage, and versatile cuts.

MaryAnn Santos
“We’re always evolving to meet our clients’ needs.’’

She is passionate about hair health and offers services like Keratin and Brazilian Blowout. And Ernst brings over 35 years of expertise, specializing in color, blonding, and extensions. Certified in Great Lengths extensions and Micro Point for synthetic hair density solutions, she transforms hair with finesse and dedication.

Adding to the team's dynamic is Christian Tufaro, a talented hairstylist and makeup artist whose arrival has enriched Polished and Chic's service offerings including both lived-in and fantasy hair colors. "I also do makeup, anything from

a natural look to special events like proms and weddings," Tufaro beams.

Cascio, a seasoned nail technician with a full cosmetology license, has over three decades of experience.  Her success in opening a full service salon reflects her passion and devotion to the community as well as her craft. Client satisfaction is paramount at Polished and Chic.

The team's dedication to meeting client expectations extends beyond the salon chair. Polished and Chic prides itself on offering an inclusive and welcoming environment.  With a focus on caring and

personalized attention, the team proudly fosters the salon's commitment to positivity and well-being.

As summer transitions into fall, Polished and Chic anticipates the beauty challenges their clients may face. Santos and Ernst suggest seasonal treatments like shine glazes and deep conditioning to revive hair post-summer. "After summer, hair tends to get brassy and dry. A glaze and deep conditioning can work wonders," Ernst advises, reflecting their expertise in haircare.

Looking ahead, Polished and Chic is enthusiastic to welcome new clients and add new services.  "We're always evolving to meet our clients' needs,'' Cascio affirms, “We are excited about future relationships and possibilities."

Reflecting on its success, Cascio credits the salon’s supportive atmosphere and the team’s dedication. "It's about trust. We trust each other and our clients trust us, not just with their hair and nails, but with themselves.”

With a commitment to excellence and a friendly approach, Polished & Chic Salon Boutique continues to shine as a beacon of beauty in Hillsdale. Whether it's a fresh manicure, a trendy hairstyle, or a friendly chat, clients leave the salon feeling pampered and confident and just as the name suggests… Polished and Chic.

For more information on Polished & Chic Salon Boutique and to book an appointment, visit their website at www.polishedandchic.com

Contact:

Lisa Cascio

Owner, Polished & Chic Salon Boutique

Email: polishednchic@gmail.com

Phone: 201-746-9666

Christian Tufaro
Deborah Ernst

A TASTE OF ITALIAN HOSPITALITY

Savor Every Bite at Bellissimo in Montvale

Since 2008, Bellissimo Restaurant in Montvale has evolved from a cozy eatery to a culinary destination. Owned by Tony Meto, the restaurant embodies warmth and hospitality, welcoming patrons for both casual meals and special occasions alike. Over the years, Bellissimo has expanded its space and its menu, offering a blend of traditional Italian staples and innovative weekly specials with the intention of keeping diners eagerly anticipating their next visit

Owner - Tony Meto

FEATURED MENU ITEMS:

SEAFOOD PASTA

For seafood enthusiasts, the Seafood Pasta is a must-try. This flavorful dish features jumbo prawns, succulent salmon, and tender pieces of Black Forest ham tossed with spinach fettuccine, mushrooms, all bathed in a rich brandy cream sauce. It’s a symphony of tastes that reflects Bellissimo’s dedication to culinary excellence.

BURRATA APPETIZER

Indulge in Bellissimo’s irresistible Burrata appetizer, a delicacy crafted with fresh oranges, toasted pistachios, arugula, and fennel, all drizzled with a delightful champagne vinaigrette dressing. This dish epitomizes the restaurant’s commitment to blending exquisite flavors with seasonal ingredients.

PANKO CRUSTED PORK CHOP

Savor the Panko Crusted Pork Chop, expertly prepared and served with a red wine balsamic glaze that enhances its robust flavors. Accompanied by broccoli rabe, red roasted potatoes, and roasted peppers, this dish exemplifies Bellissimo’s mastery in combining traditional Italian influences with contemporary culinary techniques.

DESSERTS

No meal at Bellissimo is complete without indulging in their decadent desserts including their Black and White Chocolate Mousse Cake and Limoncello Mascarpone Cake.

At Bellissimo Restaurant, every dish tells a story of passion and dedication. From sourcing the finest ingredients to creating memorable dining experiences, Tony Meto and his team strive to not only satisfy but to delight their guests. Whether you’re seeking a cozy dinner with loved ones or celebrating a special milestone, Bellissimo promises exceptional value, impeccable service, and a welcoming atmosphere that keeps guests coming back time and again. For more information and to explore their full menu, visit their website at www.bellissimonj.com or stop by for an unforgettable dining experience.

WILD SEA BASS

Experience the Wild Sea Bass, where coconut-crusted fillets are paired with arugula, tangy feta cheese, fresh tomatoes, and onions, all brought together with a raspberry walnut vinaigrette dressing. Each bite showcases the restaurant’s commitment to freshness and innovation.

WEEKEND MASS SCHEDULE

Saturday Vigil Mass: 5:30 PM Sunday Masses: 7:30 AM (no music) 9:30 AM 11:00 AM 12:30 PM - Spanish Evening: 6:15 PM

DAILY MASS

Tour Today

Learn More About Our Premier Memory Care Community In Westwood. Now Offering Tours Of Harmony Village At CareOne Valley. Reach

For additional information, please call Christina Brophy at 551.337.3282 or contact her at Cbrophy@care-one.com

SEPTEMBER 2024

A SELECTION OF UPCOMING LOCAL EVENTS

SEPTEMBER 6TH

End of Summer Festival

55 W Midland Ave, Paramus | 6:00 PM

Join us at St. Mark's Syriac Orthodox Cathedral for the End of Summer Festival on September 17-18! Enjoy raffles, games, activities for all ages, delicious ethnic food, and baked goods. Free entry, rain or shine. Friday: 6-11PM, Saturday: 3-11PM, Sunday: 12-6PM. For more details, visit www.stmarksnj.com.

SEPTEMBER 7TH

WestwoodFest

Veterans Park - 50 Madison Ave, Westwood | 2:00 PM

Stop by WestwoodFest, where community spirit shines! Enjoy activities, food, and connections galore, courtesy of Celebrate Westwood and our generous sponsors, residents, and local organizations.

SEPTEMBER 14TH

Passing The TorchIgniting The Future MOW Gala

Soldier Hill Golf Course - 99 Palisade Ave, Emerson | 6:00 PM

Meals on Wheels North Jersey is hosting a Gala to honor Jeanne Martin’s retirement after 20+ years of service. Join them to celebrate Jeanne and welcome new Executive Director, Janelle Larghi. Enjoy food, prizes, and more. For more information or to register, visit: https://passing-the-torchtickets.cheddarup.com.

SEPTEMBER 21ST

Haworth 5K Run

142 Terrace street, Haworth | 9:30 AM

The Haworth 5K is a flagship event in Bergen County, celebrating its 15th year. Known for hosting the Masters Men and Open Women Championship Races, it offers friendly competition and camaraderie. Beyond racing, it raises funds, with over $250,000 donated to community organizations. Visit www.haworthrun.org for sponsorship opportunities and event details.

SEPTEMBER 25TH

Table To Table

Edgewood Country Club - 449 Rivervale Rd, River Vale | 6:00 PM

Celebrate Table to Table's 25th Anniversary at a multi-course Chefs Gala featuring 25 NJ chefs! Reserve your table today! For more information visit www.tabletotable.org

SEPTEMBER 29TH

Music at the Barn

13 Pascack Rd., Park Ridge | 4:00 PM

Join us in Park Ridge for a night out at the Bergen All Star Jazz Bash, a Free Sunday Concert series for Bergen County Residents. Bring chairs, blankets, family and friends for a night to remember! Rain or Shine!

OPEN

8AM - 8PM

Primary Care

Blood Work

Weight Loss

Dermal Filler

Body Contouring

IV Infusion Therapy

Hair Restoration

Microneedling RF

Laser Treatment

Vaginal Rejuvenation

Neurotroxin

SUNDAY BRUNCH

PRIVATE EVENTS CATERING

WED-THURS: 5-9

FRI-SAT: 5-10

SUNDAY: 11-3

Turn static files into dynamic content formats.

Create a flipbook
Issuu converts static files into: digital portfolios, online yearbooks, online catalogs, digital photo albums and more. Sign up and create your flipbook.