Actualități Stomatologice nr. 108

Page 1


ROMANIAN DENTAL NEWS JOURNAL | SINCE 1999

FONDATORI

Prof. Dr. Adi A. GARFUNKEL | Prof. Dr. D. Walter COHEN

PREȘEDINTE ONORIFIC

Prof. Dr. Nicolae GĂNUȚĂ

Decan-Emerit Facultatea de Medicină Dentară, București

Membru al Academiei de Științe Medicale

EDITOR ȘEF

Prof. Dr. Anca Silvia DUMITRIU

Medic primar Parodontologie, Doctor în Științe Medicale

Șef Disciplină Parodontologie, Prodecan, Facultatea de Medicină Dentară, Universitatea de Medicină și Farmacie Carol Davila, București

Vicepreședinte „Societatea Română de Parodontologie” European Federation of Periodontology Delegate

EDITOR ȘTIINȚIFIC

Societatea de Parodontologie din România membru al Federației Europene de Parodontologie

Președinte de Onoare:

Prof. Univ. Dr. Horia Traian Dumitriu membru titular Academia de Științe Medicale

COLEGIUL ȘTIINȚIFIC INTERNAȚIONAL

Prof. Dr. Louis F. ROSE

Profesor Clinic de Parodontologie

Universitatea Pennsylvania & New York, SUA

Profesor de Medicină și Chirurgie, Colegiul Medical, Universitatea Drexel, SUA

Prof. Dr. Markus B. BLATZ

Editor in Chief Compendium USA

Prof. Dr. Meyer Fitoussi, Franța

Prof. Dr. Michael Glick, Past-Editor-in-Chief JADA, SUA

Dr. Doron Haim, Israel

Prof. Dr. Harold W. Preiskel, Anglia

Prof. Dr. André P. Saadoun, Franța

COLEGIUL ȘTIINȚIFIC NAȚIONAL

Conf. Dr. Lidia Boboc

Prof. Dr. Emanuel Bratu

Dr. Alexandru Brezoescu

Prof. Dr. Dorin Borzea

Lector Univ. Dr. Lucian Chirilă

Prof. Dr. M. V. Constantinescu

Prof. Dr. Bogdan Dimitriu

Prof. Dr. Horia Dimitriu

Prof. Dr. Norina Forna

Membru corespondent Academia de Științe Medicale

Prof. Dr. Rodica Luca

Prof. Dr. Andrei Iliescu, Membru titular Academia Științe Medicale

Prof. Dr. Augustin T. Mihai

Prof. Dr. Alexandru Monea

Lector Univ. Dr. Ion Nicolescu

Prof. Dr. Ion Pătrașcu

Conf. Dr. Stana Păunică

Prof. Dr. Dragoș Stanciu

Prof. Dr. Mircea Surpățeanu

Prof. Dr. Șerban Țovaru

Prof. Dr. Constantin Vârlan

Asist. Univ. Dr. Anca Vereanu

EDITOR CONSULTANT ECHIPA EDITORIALĂ

Dr. Tiberiu Gh. Silaghi medic primar

EDITOR EXECUTIV

Dr. Bianca G. Zaharia medic specialist

EDITOR ASOCIAT

Dr. Ana-Maria Herța medic specialist

TRADUCERE, REDACTARE

Lector Univ. Blanka Petcu

DESIGN

Concept grafic, DTP & Prepress Cătălin Cristescu

ABONAMENT

https://dentalnews.ro/inregistrare/ inregistrare@actualitatistomatologice.ro www.dentalnews.ro/gdpr

DISTRIBUȚIE

Pe baza abonamentului individual https://dentalnews.ro/inregistrare/

MARKETING office@dentalnews.ro 0726 164 381 INFO www.dentalnews.ro/EMC EMC

Dental News, Manager financiar Ec. Lili Viorica Stoica

DEZVOLTARE WEB

Liviu Dincă www.webdin.ro

ISSN: 1583-6010 www.dentalnews.ro

Cuprins

EDIȚIA DE TOAMNĂ

MULTIDISCIPLINARĂ

Succesul clinic prin colaborare profesională coordonată

CLINICAL TECHNIQUE

PERIODONTAL THERAPY

Restaurarea unei cavităţi profunde cu BiodentineTM de la podeaua camerei pulpare până la partea superioară a cavității

Tehnica SMILE pentru augmentarea gingivală: etape, cazuri clinice

NEW DEVICE, TECHNIQUE, MATERIAL

Când se recomandă integrarea în stomatologia clinică a dispozitivelor, tehnicilor și a materialelor noi?

GURSK ⊲

PRODUCTS IN PRACTICE

Noi tehnologii validate clinic pentru medicii stomatologi

BUSINESS OF DENTISTRY ⊲

PRODUCTIVITY MISTAKES

Greșeli de productivitate ce pot obstrucționa un cabinet dentar

Efectele adverse ale instrumentării ultrasonice și air-polishing asupra restaurărilor dentare: o recenzie a studiilor de laborator

DIGITAL DENTISTRY

PROSTHETICALLY DRIVEN PLANNING

Tehnologia digitală redefinește terapiile implantare

COMPLEX CASE

Tratamentul interdisciplinar al unei dileme estetice complexe

Ghid pentru managementul clinic al caninilor maxilari incluși vestibular sau palatinal

MyCMSR; Reacreditarea lectorilor EMC; Actualizarea tematicii și bibliografiei pentru rezidențiat

Succesul clinic prin colaborare profesională coordonată

Am reunit pentru ediția multidisciplinară a finalului de an, sub umbrela toamnei, subiecte cu un numitor comun: colaborarea profesională coordonată, pentru obținerea mult-râvnitului succes clinic, spre satisfacția noastră și a pacienților. Detaliez, citând din articolele selectate:

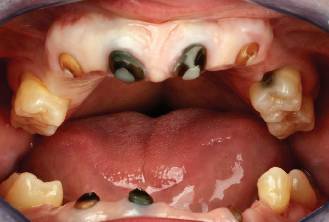
• Pacient cu restaurări deficitare pe dinți compromiși structural, tratamente endodontice eșuate, mobilitate avansată, pungi parodontale profunde, incisiv lateral absent congenital restaurat prin substituție canină inestetică, linie înaltă a zâmbetului. Rezolvarea? Colaborarea cu endodont, parodontolog, ortodont, protetician. Rezultatul? Succes clinic și satisfacția pacientului.

• Doar simpla observație a unui canin maxilar inclus, fără nici o intervenție, după vârsta de 12 ani, cel mai probabil nu va rezolva situația. Caninul maxilar este un dinte de importanță capitală datorită morfologiei sale, poziției pe arcadă, funcției de protecție prin ghidajul canin și rolului în estetica zâmbetului. Poziția finală corectă a caninului pe arcadă este considerată o cheie pentru stabilitatea pe termen lung. O intervenție timpurie ajută la asigurarea unei gestionări ocluzale

ulterioare mai ușoare. Dacă aceasta eșuează, va fi necesară o soluție ortodontică – chirurgicală.

• Similar altor tehnici din stomatologie, procedurile utilizate pentru augmentarea țesuturilor moi ale rădăcinilor denudate au evoluat de-a lungul anilor. Accentul se pune astăzi pe cele minim invazive, parodontologii depunând eforturi pentru o predictibilitate mai mare, cu morbiditate locală scăzută. Regăsiți descrisă tehnica smile (labială sulculară internă modificată) cu tunelizare combinată cu xenogrefă și PRF, care necesită semnificativ mai puține instrumente decât alte proceduri comparabile.

• Chirurgia implantară cu cea mai inteligentă planificare și mai precisă execuție va necesita în continuare un finisaj protetic care funcționează biomecanic și realizează o estetică naturală ideală individuală. Dacă există un aspect al tratamentului protetic cu provocări în era digitală, acesta ar consta în munca artistică minuțioasă a ceramistului, cu modelarea și pictarea dinților pentru a imita natura.

Colaborarea profesională și planificarea ghidată protetic sunt esențiale pentru rezultate predictibile de succes.

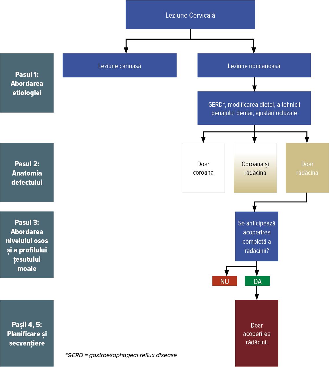
• Gestionarea leziunilor cervicale, carioase și non-carioase, poate include abordări restauratoare, chirurgicalparodontale sau combinate, în funcție de etiologie și anatomia defectului pe baza nivelului osos și a profilului țesuturilor moi adiacente. Indicațiile, obiectivele și secvențele de tratament sunt prezentate sub forma unui algoritm evidence-based care ajută clinicienii în formularea deciziei terapeutice, de cele mai multe ori multidisciplinare.

• Cu același scop al succesului, am completat cuprinsul acestei ediții cu motivele, expuse de către practicieni experimentați, care stau la baza deciziei de a achiziționa noul în cabinet și de a-l integra în fluxul clinic. Noutățile arsenalului de profil din potofoliile companiilor colaboratoare ale Actualităților, fie că sunt materiale, instrumentar sau aparatură, sunt prezentate pe larg în rubricile special destinate produselor din practică, la care se adaugă ofertele promoționale specifice toamnei.

Da, umbrela colaborării profesionale ne poate ajuta în cazurile mai complexe, uneori provocatoare, din dilemele profesiei. Vă îndemn să o folosiți și vă doresc succes clinic!

Cu prietenie, Anca Silvia Dumitriu

SEPTODONT CASE STUDIES ⊲

Septodont

58 rue du Pont de Créteil - 94100

Saint-Maur-des-Fossés – France www.septodont.ro

Restaurarea unei cavități profunde cu Biodentine™ de la podeaua camerei pulpare până la partea superioară a cavității

⊲ RAPORT DE CAZ

INTRODUCERE

Leziunile carioase din regiunea radiculară reprezintă o provocare majoră în practica de rutină. Pe lângă faptul că sunt greu de detectat (diagnosticul este adesea o constatare radiologică), acestea sunt și foarte dificile din cauza proximității lor față de țesutul pulpar și a accesului anevoios pentru procedurile de restaurare.

Biodentine™ este un material pe bază de silicat de calciu care prezintă, printre principalele sale proprietăți, bioactivitate, rezistență la compresiune și timp scurt de priză. Aceste calități fac posibilă utilizarea Biodentine™ ca material de obturare într-o singură etapă în cazul trata-

Despre autor:

Dr. Pedro Alexandre

Master în Materiale Dentare (Universitatea Federală Santa Catarina, UFSC, Brazilia). Specialist în Stomatologie (IEAPOM, Porto Alegre, Brazilia). Postuniversitar în Implantologie. Specializat în Parodontologie (ABO/RS, Brazilia). Profesor de Cursuri de Perfecționare și Specializare în Stomatologie timp de 15 ani. Coautor al seriei de cărți Materiale Dentare – ABENO. Lector la congrese naționale și internaționale.

mentelor conservatoare ale pulpei, cu sau fără expunere.1,2,3

Spre deosebire de MTA, ale cărui indicații sunt mai concentrate pe endodonție, Biodentine™ a dovedit rezultate în regenerarea pulpei.4 Comparativ cu ionomerii de sticlă, Biodentine™ este mai rezistent, fiind și bioactiv.3 Această ultimă caracteristică nu se regăsește în CIS-uri, care nu sunt indicate pentru aplicarea direct pe pulpă fără un alt material ca liner sau bază, cum ar fi hidroxidul de calciu sau MTA.5,6,7,8,9 Mai mult, Biodentine™ nu colorează structura dentară așa cum o face MTA.10 Prin urmare, este o opțiune excelentă pentru cazurile de procese carioase profunde, chiar și în cele

cu implicarea directă a pulpei. Acest articol prezintă o serie dintre caracteristicile și indicațiile Biodentine™ ilustrate printr-o prezentare de caz.

PREZENTARE DE CAZ

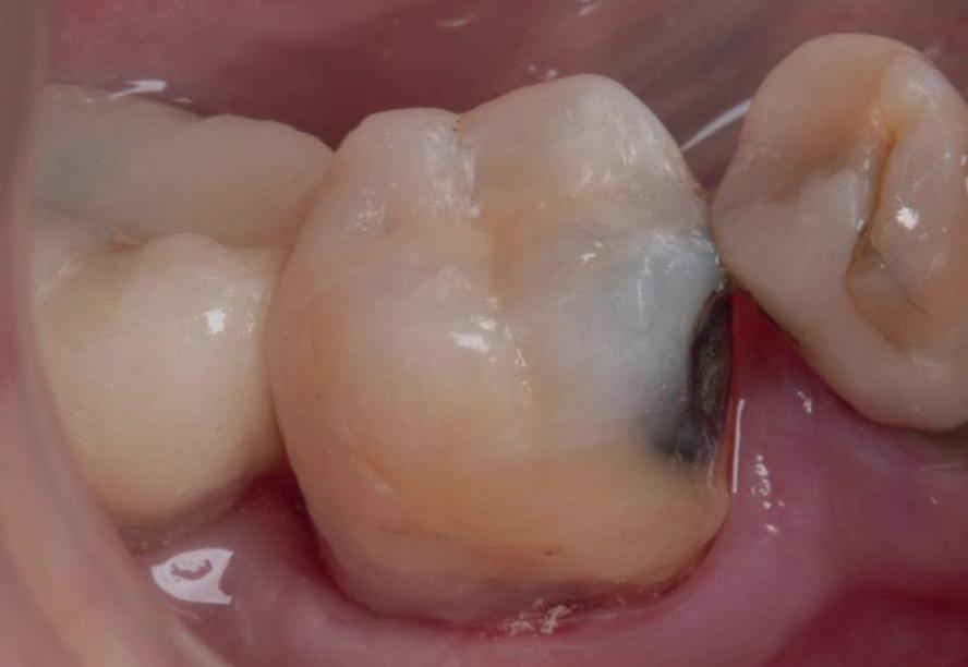
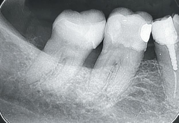
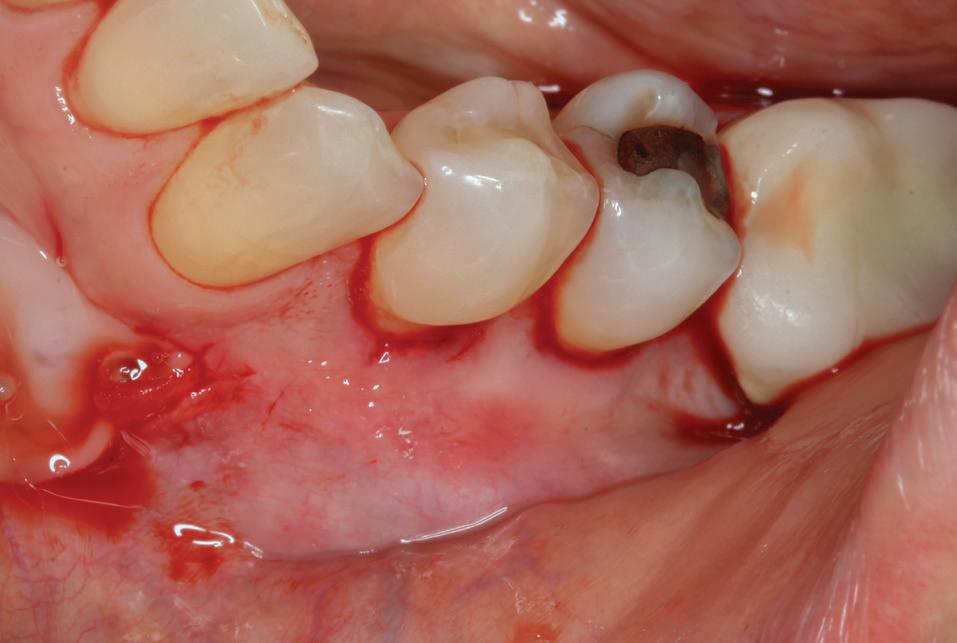
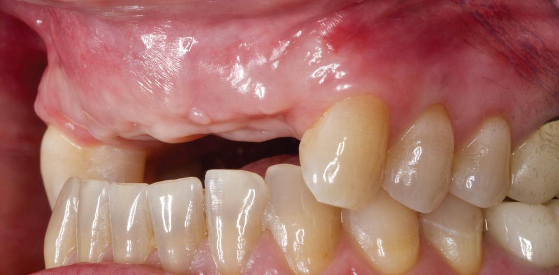
Un pacient caucazian în vârstă de 77 ani s-a prezentat la clinica autorului după cinci ani în care nu a fost la niciun control stomatologic. Examinarea clinică a arătat o pierdere semnificativă de os, parodontită cronică și multiple edentații care au destabilizat ocluzia. Pacientul a raportat sensibilitate la rece la nivelul primului molar drept inferior nr. 46, în special la ingerarea de lichide reci. Radiografia periapicală a confirmat constatările examenului clinic; în

plus, s-a detectat și prezența unei carii radiculare la nivelul rădăcinii distale a aceluiași molar, cu răspuns pozitiv la testul de sensibilitate (fig. 1-2).

Planul de tratament a început cu accent pe restabilirea sănătății parodontale. Într-o ședință ulterioară, odată cu îmbunătățirea stării parodonțiului, s-a efectuat restaurarea molarului nr. 46. Sub anestezie la Spina Spix pe partea dreaptă și

Figurile:

1. Situația clinică inițială.

2. Radiografia inițială.

3. Cavitate de clasa a II-a preparată.

4. Septomatrix pe poziție.

5. Cavitatea profundă.

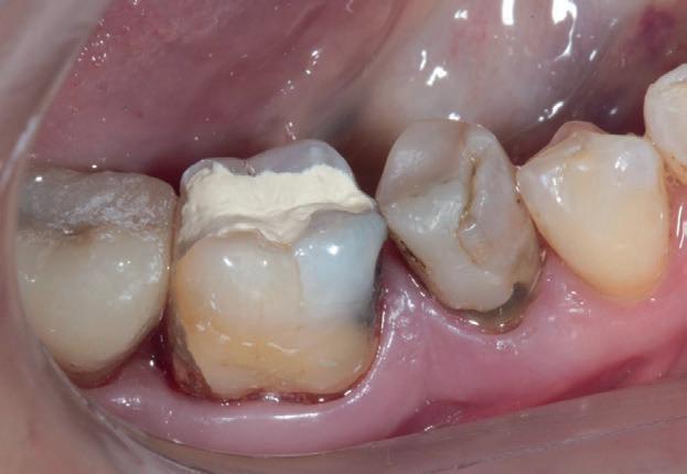
izolarea cu digă de cauciuc, restaurarea din amalgam a fost îndepărtată complet și s-a obținut accesul la cavitatea carioasă (fig. 3-5). În ciuda proximității față de țesutul pulpar, nu a avut loc nicio expunere, iar cavitatea de clasa a II-a a fost restaurată complet cu Biodentine™ (fig. 6-8).

La controlul de două luni, nu au fost raportate simptome, nu s-a obiectivat radiologic nicio leziune periapicală, iar examenul clinic a

demonstrat o vitalitate în limite normale (fig. 9-10). Prin urmare, s-a decis efectuarea restaurării definitive, păstrând Biodentine™ ca bază definitivă.

Materialul Biodentine™ a fost parțial îndepărtat și peste acesta s-a plasat o obturație din compozit (fig. 11). S-a efectuat o gravare selectivă a smalțului, urmată de aplicarea unui sistem adeziv (Palfique Bond®, Tokuyama) (fig. 12-13). După foto-

polimerizare, s-a fixat sistemul de matrice (SeptoMatrix, Septodont) și s-a utilizat o matrice mare cu un inel moale pentru un contur mai bun și un punct de contact proximal (fig. 14). Restaurarea a fost începută în porțiunea distală, transformând cavitatea de clasa a II-a într-o cavitate de clasa I (fig. 15). În final, suprafața ocluzală a fost restaurată folosind compozitul Palfique LX5® (Tokuyama) (fig. 16). După fotopolimerizare, s-a aplicat gel de glicerină pentru a permite o mai bună fotoactivare a stratului superficial. Restaurarea a fost apoi finisată și lustruită, înainte de îndepărtarea digii de cauciuc și verificarea ocluziei (fig. 17).

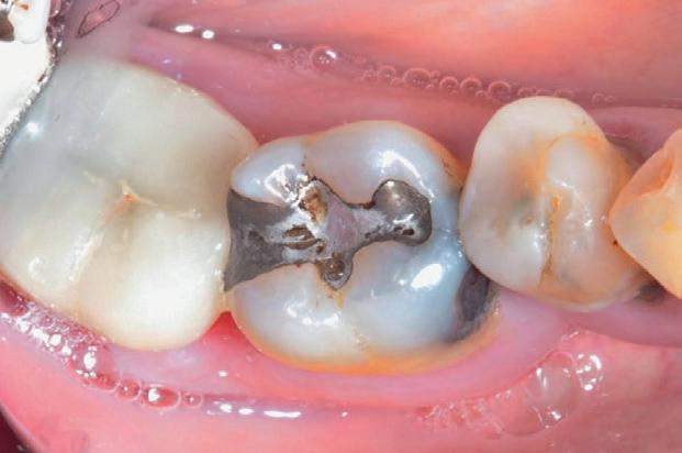
Observații importante

În primul rând, s-a decis să nu se îndepărteze și restaurarea din amalgam de pe fața mezială deoarece,

deși coroziunea amalgamului a colorat structura dintelui, restaurarea nu a dăunat sănătății dintelui. S-a considerat că îndepărtarea ar putea provoca o agravare suplimentară a stării țesutului pulpar cu posibila pierdere a vitalității pulpare. În ceea ce privește parodonțiul, tratamentul efectuat subgingival a avut efectul dorit în decurs de două luni. Ajustarea ocluzală a permis reducerea mobilității în cazul a doi dinți care anterior prezentaseră o mobilitate crescută din cauza pierderii osoase verticale.

DISCUŢII

Leziunile carioase din apropierea pulpei reprezintă o provocare în practica de rutină, atât în ceea ce privește diagnosticul, cât și al accesului, așa cum s-a demonstrat în prezentarea cazului de față. Coafajul

Figurile:

6. Biodentine™ aplicat prin procedura

Bio Bulk-Fill. 7. Situația clinică după 12 minute și îndepărtarea matricii.

8. Situația clinică după îndepărtarea digii de cauciuc. 9. Radiografia de control la 2 luni postoperator.

pulpar indirect este o procedură care își propune să păstreze vitalitatea pulpei prin evitarea tratamentului endodontic.5,6 De-a lungul anilor, au fost utilizate diferite materiale pentru coafajul pulpar indirect. Pastele pe bază de hidroxid de calciu, ionomer de sticlă și MTA sunt prezentate în mai multe studii ca opțiuni pentru acest tratament.5,6,7,8 Cu toate acestea, materialele mai eficiente din punct de vedere al bioactivității (MTA) nu au suficientă rezistență pentru a umple întreaga cavitate, așa cum permite Biodentine™ care poate fi utilizat ca material

unic pentru a umple întreaga cavitate de la pulpă până la coroană (procedura Bio Bulk-fil) timp de până la șase luni. În cazul de față, Biodentine™ a fost menținut pentru două luni, timp suficient pentru ca semnele și simptomele să dispară și pentru a permite plasarea unei restaurări definitive.

CONCLUZIE

Biodentine™ este o opțiune excelentă pentru restaurarea dinților cu carii profunde, cu sau fără expunerea pulpei. Proprietățile importante, cum ar fi bioactivitatea, rezistența și timpul scurt de priză, pe lângă plasticitatea excelentă, permit ca Biodentine™ să fie ușor de aplicat în cazuri mai dificile de acces și proximitate pulpară, așa cum este raportat în acest caz clinic.

Referinţe bibliografice

1. Laurent P, Camps J, De Méo M, Déjou J, About I. Induction of specific cell responses to a Ca(3)SiO(5)-based posterior restorative material. Dent Mater. 2008 Nov;24(11):1486-94. doi: 10.1016/j.dental.2008.02.020. Epub 2008 Apr 29. PMID: 18448160.

2. Kunert M, Lukomska-Szymanska M. Bio-Inductive Materials in Direct and Indirect Pulp Capping-A Review Article. Materials (Basel). 2020 Mar 7;13(5):1204. doi: 10.3390/ma13051204. PMID: 32155997; PMCID: PMC7085085

3. Koubi G, Colon P, Franquin JC, Hartmann A, Richard G, Faure MO, Lambert G. Clinical evaluation of the performance and safety of a new dentine substitute, Biodentine™, in the restoration of posterior teeth - a prospective study. Clin Oral Investig. 2013 Jan;17(1):243-9. doi: 10.1007/s00784-012-0701-9. Epub 2012 Mar 14. PMID: 22411260; PMCID: PMC3536989.

4. Chauhan A, Dua P, Saini S, Mangla R, Butail A, Ahluwalia S. In vivo outcomes of indirect pulp treatment in primary posterior teeth: 6 months’ follow-up. Contemp Clin Dent 2018;9:S69-73

5. Gurcan AT, Seymen F. Clinical and radiographic evaluation of indirect pulp capping with three different materials: a 2-year follow-up study. Eur J Paediatr Dent. 2019 Jun;20(2):105-110. doi: 10.23804/

Figurile:

10. Restaurarea Biodentine™ după 2 luni.

11. Îndepărtarea părții externe a Biodentine™.

12. Gravarea selectivă a smalțului.

13. Aplicarea adezivului.

14. Plasarea unui sistem de matrice (Septomatrix, Septodont)

15. Reconstrucția cu compozit a peretelui distal.

16. Restaurarea imediat după finalizare.

17. Situația clinică după finisare și lustruire.

ejpd.2019.20.02.04. PMID: 31246084

6. Mathur VP, Dhillon JK, Logani A, Kalra G. Evaluation of indirect pulp capping using three different materials: A randomized control trial using cone-beam computed tomography. Indian J Dent Res. 2016 Nov-Dec;27(6):623-629. doi: 10.4103/0970-9290.199588. PMID: 28169260.

7. Sahin N, Saygili S, Akcay M. Clinical, radiographic, and histological evaluation of three different pulp-capping materials in indirect pulp treatment of primary teeth: a randomized clinical trial. Clin Oral Investig. 2021 Jun;25(6):3945-3955. doi: 10.1007/s00784020-03724-4. Epub 2021 Jan 6. PMID: 33404764.

8. Rahman B, Goswami M. Comparative Evaluation of Indirect Pulp Therapy in Young Permanent Teeth using Biodentine™ and Theracal: A Randomized Clinical Trial. J Clin Pediatr Dent. 2021 Jul 1;45(3):158-164. doi: 10.17796/1053-4625-45.3.3. PMID: 34192759.

9. Kurun Aksoy M, Tulga Oz F, Orhan K. Evaluation of calcium (Ca2+) and hydroxide (OH-) ion diffusion rates of indirect pulp capping materials. Int J Artif Organs. 2017 Oct 27;40(11):641-646. doi: 10.5301/ ijao.5000619. Epub 2017 Jul 8. PMID: 28708217.

10 . Camilleri J. Staining Potential of Neo MTA Plus, MTA Plus, and Biodentine™ Used for Pulpotomy Procedures. J Endod. 2015 Jul;41(7):1139-45. doi: 10.1016/j. joen.2015.02.032. Epub 2015 Apr 15. PMID: 25887807.

SPECIAL REPORT ⊲

When is it appropriate to integrate a new device, technique, or material into clinical dentistry? By James Bahcall, DMD, MS; David Cohen, DDS, MS; Rena Vakay, DDS. Originally published in Compendium of Continuing Education in Dentistry 40(6) June 2019. © 2020 AEGIS Publications, LLC. All rights reserved. Reprinted with permission of the publishers.

Când este potrivită integrarea în stomatologia clinică a dispozitivelor, materialelor sau a tehnicilor

noi?

⊲ NEW DEVICE, TECHNIQUE, MATERIAL

Despre autorI:

James Bahcall, DDS, MS

Clinical Professor, Dept. of Endodontics, University of Ilinois-Chicago, College of Dentistry, Chicago, Ilinois

David Cohen, DDS, MS

Private Practice, limited to Periodontology and Implants, Crystal Lake, Ilinois

Rena Vakay, DDS

Private Practice, Haymarket, Virginia

Progresele științifice și tehnologice din sfera stomatologiei de-a lungul ultimilor ani au fost semnificative, ajutând la creșterea standardelor tratamentelor clinice oferite pacienților. Totuși, întrebarea pentru practicieni este cum și când să ia decizia profesională de a integra progresul unui nou dispozitiv, noi tehnici și/sau materiale în practica dentară clinică de zi cu zi.

James Bahcall, DDS, MS

Încă din timpul facultății, pregătirea clinică a viitorilor medici dentiști a fost întreruptă de opinii variate, inconsecvente și uneori contradictorii. În plus, mulți studenți au fost învățați să solicite opiniile

experților și să învețe din experiența lor clinică. După finalizarea facultății, practicienii pot participa la un curs sau pot citi un articol din literatură suficient de convingător pentru a-i determina să încerce un nou instrument, material sau tehnică.

Furnizorii de servicii medicale orale sunt atrași în permanență de noi dispozitive, tehnici și materiale în speranța că vor oferi pacienților rezultate terapeutice mai bune.

Ca și în cazul altor noi tehnologii, există un ciclu de viață al adopției. Ciclul de viață este o curbă în formă de clopot care împarte utilizatorii în „adoptatori timpurii”, „majoritate timpurie”, „majoritate târzie”, sau „leneși” ai noii tehnologii. De aceea, și

în rândul medicilor dentiști există un spectru larg în ceea ce privește cine are tendința de „a sări” la instrumentele și tehnicile „cele mai recente și cele mai grozave” (adoptatorii timpurii) versus cei care așteaptă până ce un dispozitiv, tehnică sau material au fost demonstrate în cercetări bazate pe dovezi (majoritate timpurie/întârziată) și cei care nu se vor lepăda niciodată de tehnicile terapeutice actuale (leneșii). În realitate, este discutabil numărul exact al studiilor clinice care ar trebui raportat în literatură (adică să fie bazat pe dovezi) pentru a confirma semnificația unei noi tehnologii, unui nou material sau dispozitiv.

Problema este că cercetarea este o sabie cu două tăișuri. Pe de o parte, aceasta poate dura mulți ani, determinând ca ciclul mediu pentru adoptarea majoritară a unui nou dispozitiv, tehnici sau material să fie cuprins între 5 și 10 ani, sau chiar mai mult. Pe de altă parte, fără cercetare nu ar exista o testare clinică necesară pentru evaluarea unui dispozitiv, tehnici sau material eficient pentru utilizarea în stomatologie.

Asociația Dentară Americană ADA definește stomatologia bazată pe dovezi (evidence-based dentistry, EBD) ca „o abordare a îngrijirii orale ce necesită integrarea judicioasă a evaluărilor sistematice ale dovezilor științifice clinic relevante, legate de starea și istoricul oral și medical al pacientului, cu experiența cinică a dentistului și necesitățile terapeutice și preferințele pacientului.” De aceea, experiența personală nu ar trebui să fie singura sursă de decizie în stomatologie. Mai degrabă, un dentist ar trebui să utilizeze EBD pentru că aceasta oferă informațiile cele mai validate și mai puțin părtinitoare pe care se pot baza deciziile clinice. EBD ajută la închiderea prăpastiei

dintre cercetarea clinică și practica dentară din lumea reală.

Ca specialist parodontolog, consider că este vital să fii la curent cu tendințele tratamentelor parodontale și implantare. Uneori însă, materialele și tehnologiile noi se pot comercializa de către producători ca următoarea modalitate excelentă de tratament, fără ca aceste afirmații să fie susținute de cercetări semnificative. De aceea, este prudent ca practicienii să se bazeze pe literatura de specialitate revizuită pentru a rămâne la curent cu progresele reale și semnificative. Eu personal sunt un adoptator majoritar timpuriu al noii tehnologii. Aceasta îmi permite să îmi acord timp pentru a studia periodic literatura de specialitate, acceptând ca tehnologia să evolueze dincolo de „stadiul 1.0” al dezvoltării produsului.

Când se comercializează un nou dispozitiv, material sau o nouă tehnică, clinicienii ar trebui să își pună următoarele întrebări:

1. Vor fi îmbunătățite rezultatele terapeutice actuale oferite pacienților?

2. Va fi redusă durata tratamentului per pacient?

3. Vor fi întrunite sigur primele două obiective la un cost care nu va depăși beneficiile utilizării acestei noi tehnologii?

Dintr-un alt unghi de vedere, clinicienii nu pot aborda utilizarea noilor dispozitive, tehnici sau materiale în viața profesională, la fel cum s-ar putea întâmpla în cea personală. Iar exemplul cel mai la îndemână este ca atunci când se lansează un nou model de telefon mobil. Unii pot iubi gadgeturile noi, fiind cumpărători impulsionați care nu sunt dispuși să aștepte pentru studii pe termen lung în ceea ce privește beneficiile noului model.

Achiziționarea unui nou telefon fără această informație nu va face rău cu adevărat; în cel mai rău caz, telefonul nu reușește să îndeplinească așteptările cumpărătorului. Acesta însă este un „noroc” pe care un practician nu și-l poate asuma în cazul pacienților săi.

Înainte de a „sări” prea devreme la o nouă tehnologie, practicienii din sfera îngrijirii orale pot beneficia mai degrabă de pe urma răbdării pentru a aștepta rezultatele periodice ale cercetărilor bazate pe dovezi publicate în revistele de specialitate, decât să descopere, pe calea mai dificilă, faptul că beneficiile pe termen lung sunt mai puțin decât ideale.

Din postura de dentist restaurator, aș recomanda cinci motive obiective pentru integrarea unui nou dispozitiv, material sau tehnici:

1. Îmbunătățirea diagnosticului clinic și a planificării tratamentului, cum ar fi imagistica CBCT pentru implanturi;

2. Creșterea predictibilității rezultatelor, cum ar fi utilizarea unei noi lămpi de fotopolimerizare cu o mai bună profunzime de polimerizare;

3. Sporirea eficienței, de exemplu prin utilizarea scannerului digital în locul amprentelor tradiționale;

4. Îmbunătățirea profitului prin reducerea „refacerilor” costisitoare ale coroanelor ce implică materiale și timp din partea personalului;

5. Prevenirea „rutinitei” - să faci ceva pentru că întotdeauna ai făcut-o așa.

Cu toate acestea, există două motive subiective pentru temporizarea modificărilor legate de încorporare care, în experiența mea sunt la fel de importante ca și motivele obiective, dar nu sunt frecvent dezbătute.

Primul motiv subiectiv pentru a implementa schimbarea este atunci când echipa întâmpină dificultăți cu un material, dispozitiv sau tehnică. Sistemul poate fi, de asemenea, o parte a problemei, deoarece poate fi anevoios, dificil sau nepredictibil. Poate lipsește profunzimea abilităților clinice sau doar a integrării din partea echipei stomatologice. Prin urmare, uneori, rezultă nesiguranță sau incomoditate; alteori o atitudine neconstructivă, cu tratamente sub calitatea scontată și lipsa monitorizării.

Toate acestea pot avea un efect domino asupra întregului cabinet, ducând la experiențe neplăcute pentru personal și pacienți, cu posibile recenzii negative distribuite online. Dacă survine un asemenea lanț de evenimente, temporizarea schimbării devine urgentă; schimbarea trebuie să susțină un flux de lucru mai bun, o experiență îmbunătățită pentru pacient și o stomatologie de mai bună calitate. Membrii versați ai personalului pot oferi un feedback de neprețuit cu privire la schimbările ce îi vor ajuta să devină mai buni. Dacă sunt ascultați și se acționează în conformitate, acest feedback de jos în sus poate împuternici echipa. Iar aceasta, la rândul ei, va putea să implementeze mai ușor o nouă tehnică sau dispozitiv fără a opune rezistență, vizualizându-se un beneficiu direct pentru pacienți și pentru ei înșiși.

Pentru a încorpora ceva nou, clinicianul ar trebui să introducă echipei noutatea cât mai timpuriu, astfel încât să fie suficient timp pentru ca ei să facă parte din procesul de decizie, de formare și de implementare. Toți clinicienii au avut experiența de a reveni de la un curs și de a întâmpina rezistență din partea echipei atunci când încercau să implementeze un nou produs, dispozitiv sau alte progrese tehnologice.

Al doilea motiv subiectiv pentru momentul adecvat implementării unei schimbări este unul psihologic. Introducerea unei noi abordări sau dispozitiv furnizează o ascensiune pentru pacient, personal și medic. Creează emoție și un zumzet pentru cabinet. De exemplu, în cazul scannerelor digitale, pacienții nu mai trebuie să se teamă de amprente, iar medicii și asistenții se pot bucura de mai multă plăcere. În plus, cabinetul se diferențiază de alte cabinete stomatologice cu noua tehnologie, îmbunătățind experiența pacientului.

Nu există niciodată un moment „perfect” pentru implementarea noilor tehnici, materiale sau dispozitive pentru că schimbarea este dificilă. Cu toate acestea, abordarea schimbării ca un beneficiu pentru toți și implementarea sa cu pași mărunți poate ajuta echipa stomatologică să le îmbrățișeze cu brațele deschise.

PRODUCTS IN PRACTICE ⊲

Din 2009, GURSK este un hub dedicat inovației și educației medicale continue, care se adresează medicilor stomatologi și clinicilor din România. Compania și-a construit selecția de produse pe baza protocoalelor validate și a datelor științifice, având drept obiectiv principal predictibilitatea clinică și susținerea stomatologiei moderne, bazate pe standarde și parteneriate reale.

GURSK își consolidează rolul de partener al comunității medicale prin introducerea constantă în portofoliu de echipamente și soluții cu relevanță clinică ridicată, dezvoltate de producători internaționali consacrați.

oferă noi tehnologii validate clinic pentru medicii stomatologi

⊲ PRODUSE & TEHNOLOGII RECENTE DIN PORTOFOLIUL GURSK

Credem într-un domeniu în care precizia și factorul uman se completează. Noi oferim instrumentele, însă diferența o fac

medicii care le folosesc în beneficiul pacienților , declară Arhip Pogurski, fondator și CEO GURSK.

Cele mai recente produse și tehnologii din portofoliu oferă suport complet pentru activitatea medicilor, de la implantologie și ergonomie chirurgicală, până la sterilizare, iluminat și confortul pacientului.

SOLUŢII PENTRU

CAZURI COMPLEXE ÎN IMPLANTOLOGIE

În implantologie, fiecare detaliu poate influența rezultatul final. GURSK a integrat în portofoliu sistemele Southern Implants, recunoscute internațional pentru abordarea inovatoare a cazurilor

complexe și pentru compatibilitatea cu principiile biologice moderne.

Implanturile zigomatice Southern Implants (fig. 1) oferă soluții sigure pentru reabilitarea maxilarelor cu atrofie severă, prin ancorare în osul zigomatic, putând elimina necesitatea grefelor osoase în multe cazuri selectate. Disponibile în lungimi de 30–60 mm, cu opțiuni Co-Axis® 55° pentru corecția angulației, asigură stabilitate și emergență protetică optimă. Suprafața SInergy™ sprijină osteointegrarea, iar zona MSC (Machined Surface Coronal) reduce riscul de periimplantită. Selectarea se realizează conform protocolului

ZAGA, pentru o adaptare precisă la anatomia pacientului.

Implanturile pterigoidiene

Southern Implants (fig. 2) sunt concepute pentru inserare la un unghi de 45–60°, oferind ancorare sigură în osul cortical pterigoidian și stabilitate ridicată chiar și în cazurile de atrofie severă. Designul conic, cu vârf îngust și filet auto-tăietor, permite inserție controlată în os cortical dens, iar încărcarea imediată este posibilă în funcție de stabilitatea primară obținută. Conexiunea Deep Conical asigură etanșeitate între implant și componenta protetică, iar suprafața tratată SInergy™

sprijină osteointegrarea rapidă și durabilă.

ERGONOMIE ȘI CONTROL

OPERATOR PENTRU

MAXIMUM DE PRECIZIE

Masa chirurgicală UFSK 500 XLE

Comfort (fig. 3) este o soluție de ultimă generație pentru procedurile de chirurgie orală, implantologie și chirurgie dentară, proiectată pentru a îmbina precizia tehnică cu ergonomia operatorie și siguranța pacientului.

Sistemul funcționează complet autonom, pe baterii reîncărcabile, oferind o mobilitate deplină în spațiul clinic și o durată de utilizare de până la 100 de cicluri între încărcări. Compatibilitatea cu pedala multifuncțională permite controlul simultan al înălțimii, spătarului și tetierei, fără contact manual, cu posibilitatea memorării a până la 8 poziții programabile, alături de funcția Auto-Run (comutarea automată între pozițiile presetate) și opțiunea CPR de urgență.

Structura robustă, realizată din oțel zincat de înaltă rezistență, asigură stabilitate în timpul intervențiilor și o capacitate de încărcare ridicată, în timp ce spațiul generos la bază facilitează accesul și o postură ergonomică optimă a medicului.

Materialele medicale certificate,

cu suprafețe ABS ușor de igienizat, conforme cu standardele ISO, contribuie la menținerea unui mediu igienic și la întreținerea ușoară a echipamentului.

Tapițeria Comfort Line, din spumă cu densitate dublă, oferă un suport optim pacientului, reducând punctele de presiune în timpul intervențiilor de durată.

Scaunul de tratament este dotat cu roți duble de 125 mm, sistem de direcționare Steering Guide și frâne bilaterale, care asigură manevrabilitate și blocare în timpul utilizării.

UFSK 500 XLE Comfort este o alegere potrivită pentru medicii care caută un echilibru între precizie, mobilitate și eficiență clinică, contribuind la eficientizarea operațională și la experiența generală a pacientului.

SIGURANŢĂ ȘI STERILIZARE

Sterilizarea corectă a instrumentarului este o etapă esențială a siguranței clinice și a calității actului medical. Prin colaborarea cu producătorul german MELAG, GURSK oferă o gamă completă de echipamente care acoperă întreg fluxul, de la spălare și dezin-

fectare automată până la sigilare și sterilizare finală.

Mașina de spălare-dezinfectare

MELAtherm 20 (fig. 4) asigură curățarea, dezinfectarea și uscarea automată a instrumentarului, conform celor mai stricte norme de igienă, în aproximativ 45- 60 de minute, în funcție de programul selectat. De asemenea, reprezintă un sistem modular, care poate fi extins și personalizat pentru fiecare cabinet, având o gamă de peste 80 de coșuri și accesorii.

Tehnologia cu dublă presiune garantează o curățare cu până la 44% mai eficientă decât metodele convenționale, iar sistemul este dotat cu monitorizare electronică a procesului și documentare digitală completă a fiecărui ciclu de spălare, ceea ce permite trasabilitate totală și conformitate cu cerințele europene privind controlul infecțiilor.

Prin automatizarea completă a procesului, se reduc riscurile de contaminare încrucișată și erorile umane, iar timpul de pregătire a instrumentarului este optimizat. După decontaminare, instrumentele sterile sunt pregătite pentru depozitare și utilizare prin dispozitivele de sigilare MELAseal (fig. 5), disponibile în mai multe variante (inclusiv MELAseal 100+, MELAseal 200 și MELAseal300). Acestea asigură etanșeitate constantă, cu lățime uniformă a sigiliului și încălzire rapidă, într-un sistem ergonomic. Procesul garan-

tează un rezultat conform standardelor ISO 11607 și EN 868. Astfel, medicul are certitudinea că fiecare pachet steril își menține integritatea până în momentul utilizării.

Autoclava MELAG Vacuclave 123 (fig. 6) de clasă B, utilizează sterilizare în vacuum fracționat, care asigură penetrarea aburului în instrumentarul de diverse forme și dimensiuni. Funcționează independent de rețeaua de apă, pentru un proces de lucru sigur în orice cabinet stomatologic. Conceptul stand-alone (cu rezervoare apă integrate și răcire eficientă cu aer) elimină necesarul de apă de răcire, modulul Power Save reduce consumul între cicluri, iar EasyCare simplifică întreținerea.

LUMINA ȘI CONFORTUL

VIZUAL , DETALII CARE FAC DIFERENŢA

În actul medical, precizia depinde de calitatea luminii la fel de mult precum calitatea instrumentelor.

FARO B75 este prima lampă dentară care reunește într-un singur corp de iluminat două funcții independente, cea chirurgicală și cea dentară. Cele două surse LED distincte asigură o tranziție rapidă între moduri: spotul rotund, dedicat actului chirurgical, atinge o intensitate de până la 160.000 Lux, în timp ce spotul eliptic, destinat utilizării dentare, oferă o lumină uniformă de 50.000 Lux la 700 mm. Lampa oferă

patru temperaturi de culoare reglabile (2700 K, 4000 K, 5000 K, 5700 K), inclusiv modul Composave.

Capătul lămpii se rotește liber, la 360° (brevet FARO) permițând o poziționare optimă a fasciculului luminos. Senzorul optic fără atingere (touchless) elimină riscul de contaminare încrucișată și sporește igiena în cabinet. Lampa poate fi montată pe scaun, tavan, perete, podea sau suport mobil.

Opțional, FARO B75 poate fi echipată cu o cameră digitală 4K integrată, controlată cu piciorul, utilă pentru documentare în timp real sau la distanță. Fabricată din materiale ușoare și rezistente la uzură, FARO B75 îmbină designul ergonomic cu principiile economiei circulare, devenind un reper în iluminarea stomatologică modernă, care aduce laolaltă confortul, precizia și sustenabilitatea.

INTEGRARE DIGITALĂ PENTRU EFICIENŢĂ

Unitul dentar Miglionico G60 (fig. 7) parte din portofoliul GURSK, este conceput pentru a răspunde nevoilor cabinetelor moderne, oferind un echilibru între performanța clinică, confortul operator și siguranța pentru pacient. Designul său compact și funcțional favorizează o poziție ergonomică de lucru, cu scaun suspendat, spătar subțire și suport pentru picioare sincronizat cu mișcarea spătarului, asigurând acces facil și

libertate de manevră în toate zonele de tratament. Sistemul de control digital, bazat pe un ecran tactil de 7 inch, permite personalizarea completă a parametrilor pentru fiecare instrument, în funcție de specialitate. Pedala multifuncțională oferă control intuitiv al instrumentelor și al pozițiilor scaunului, contribuind la fluiditatea actului operator.

Pentru procedurile endodontice, unitul integrează funcții avansate într-un singur loc: micromotor Morita cu piesă 10:1, localizator de apex digital și moduri de lucru cu control al cuplului, inclusiv tehnologia Optimum Torque Reverse (OTR). În plus, sistemul este compatibil cu soluțiile multimedia și de radiologie

integrate, prin camera intraorală MI-CAM, cu autofocus și captură foto-video, controlabilă direct din pedală. Software-ul dedicat IMAGE by Miglionico permite stocarea și partajarea imaginilor în rețea, facilitând comunicarea clinică și documentarea cazurilor.

De asemenea, include sistemul MDS de igienizare automată a circuitelor interne de apă, opțiunea MDS+ de curățare pentru piesele de mână, și sisteme integrate pentru dezinfecția furtunurilor de aspirație. Carcasa instrumentelor, suporturilor, tray-urile pot fi sterilizate în autoclavă, pentru siguranță garantată. Consola coordonată medic–asistent, cu opțiune pentru a treia linie de

aspirație, asigură fluxul coordonator și comunicarea eficientă.

Prin îmbinarea tehnologiei digitale cu designul ergonomic și protocoalele avansate de igienă, Miglionico G60 oferă o soluție completă pentru integrare în cabinetul digital.

Prin integrarea de noi tehnologii validate clinic în gama de produse, GURSK își reafirmă misiunea de a sprijini medicii stomatologi în construirea unei practici moderne, eficiente și centrate pe pacient. Fiecare echipament din portofoliu este ales nu doar din considerente de performanță tehnică, ci și pentru impactul său real în actul medical.

Six Productivity Mistakes That Can Hinder a Dental Practice by Carrie Webber. Originally published in Compendium of Continuing Education in Dentistry 41(10) Nov/Dec 2020. © 2021 AEGIS Publications, LLC. All rights reserved. Reprinted with permission of the publishers.

Greșeli de productivitate ce pot obstrucționa un cabinet dentar

⊲ PRODUCTIVITY MISTAKES

Despre autor:

Carrie Webber

Co-Owner, The Jameson Group (jmsn. com), a dental management, marketing, and hygiene coaching firm

Acest articol prezintă șase „paraziți” de productivitate și energie ce pot provoca daune atât practicianului, cât și cabinetului în ansamblu, precum și pașii pe care liderii îi pot urma pentru a eradica aceste obstacole.

Pe măsură ce activitatea stomatologică revine la practicarea efectivă, mulți medici dentiști - lideri de cabinetpot resimți stresul fizic și mental al circumstanțelor dificile provocate de criza coronavirusului. A face față cerințelor de reabilitare a cabinetului poate fi extrem de epuizant, lăsându-le acestora foarte puțin timp și energie limitată pentru dezvoltarea cabinetului sau pentru sănătatea și bunăstarea personală. Aceste condiții pot fi în detrimentul nivelului de conducere și al performanței generale a cabinetului.

1. LIPSA DELEGĂRII

Necesitatea de a controla sau de a fi prezent în activitatea fiecărui proces din cabinetul dentar conduce inevitabil către epuizarea liderilor, devenind în scurt timp limitați de timp și capacitate, plafonând astfel creșterea și dezvoltarea clinicii. Citând autorul din sfera afacerilor, Chuck Blakeman, determinarea domeniilor echivalente cu „cea mai înaltă și mai bună utilizare a timpului tău” va permite medicilor dentiști să identifice sarcinile și responsabilitățile ce pot fi delegate unui alt membru al echipei care, în cele din urmă, poate dezvolta abilitățile respective sau are potențialul de a le executa în numele lor. Stomatologii ar trebui să facă ceea ce numai ei sunt capabili să facă și să delege restul sarcinilor.

Pentru a facilita delegarea, medicii stomatologi ar trebui să: prioritizeze lista de responsabilități în sens descrescător; să stabilească membrii echipei care pot fi instruiți și delegați în scopul de a îndeplini sarcini cu prioritate inferioară; să instruiască și să pregătescă membrii echipei pentru succes, stabilind așteptări; să revizuiască și să perfecționeze noua responsabilitate împreună cu membrul respectiv al echipei, fiind disponibil în vederea „antrenării” în cadrul acestui proces; și, în cele din urmă, să renunțe la sarcină și o delege cu adevărat.

2. ÎNTRERUPERI

Lipsa proceselor, sistemelor și așteptărilor clare în cadrul unei echipe poate duce la întreruperi continue pe parcursul zilei de lucru a medicului dentist. A răspunde în mod repetat la întrebările unice adresate de ceilalți membri ai echipei poate fi un semn al unei erori de sistem sau a incertitudinii într-o procedură / proces. Alocarea de timp pentru a revizui acea procedură sau proces anume, lucrul împreună pentru a construi încrederea membrilor echipei în zona

vizată și pentru a stabili coerența în cadrul sistemelor cabinetului poate reduce confuzia.

3. EȘECUL ÎN

MAXIMIZAREA ROLULUI

FIECĂRUI MEMBRU AL

ECHIPEI CLINICE

În funcție de starea în care se află cabinetul, membrii echipei clinice pot face mai mult pentru a sprijini clinic dentistul, decât li se permite probabil să facă. De la realizarea coroanelor într-o unitate CAD/ CAM până la pregătirea pacienților pentru tratament, membrii echipei clinice ar trebui implicați la cel mai înalt nivel al abilităților fiecăruia, astfel încât programul medicului să poată fi eliberat pentru a-și maximiza setul de abilități.

4. STOMATOLOGIE

UNIDENTARĂ

Planificarea prea fragmentată a tratamentului poate împiedica productivitatea. Aceasta poate fi sporită prin scăderea numărului de pacienți programați pe zi, prin a realiza mai multe proceduri stomatologice per pacient când și unde este cazul, reducând astfel numărul de ședințe terapeutice. Această abordare ajută la maximizarea capacităților unei echipe de dimensiuni minime, dar cu performanță ridicată.

5. INCAPACITATEA DE A

FINALIZA CAZURI

Pacientul unui cabinet și familia acestuia pot avea mai multe probleme stomatologice diagnosticate și în așteptare decât s-ar putea finaliza în următorii ani. Dacă există pacienți care amână tratamentul sau spun că vor reflecta asupra lui fără intenții de programare a acelei ședințe, echipa a ratat cel puțin unul dintre următorii piloni ai parteneriatului pacient-practică: încredere, nevoie, urgență, valoare. Pentru a construi acești piloni puternici în relația cu pacientul în

scopul acceptării sporite a tratamentului, echipa trebuie să își perfecționeze abilitățile de comunicare și instrumentele pe care le are la dispoziție pentru a ajuta la educarea pacienților cu privire la îngrijirea propusă și pentru a găsi o cale de înaintare care să le permită să primească tratamentul confortabil.

6. TOXICITATE ÎN ECHIPĂ

Dacă un cabinet stomatologic cuprinde membri toxici care cauzează dramatism în cadrul echipei sau sunt problematici de fel, acest lucru îi va determina pe lideri să rămână într-o stare de energie consumată, iar cabinetele să rămână blocate pe loc. Pentru a depăși această problemă, liderii cabinetului trebuie să stabilească standardul așteptărilor în rândul echipei, apoi să reflecte acest standard prin propriile acțiuni și comportamente. De asemenea, ei trebuie să se aștepte ca membrii echipei să respecte acest standard, menținându-i responsabili față de ceea ce a fost stabilit.

Procesul de eliminare a negativismului din echipă va necesita o comunicare clară, o acțiune rapidă pentru a corecta orice comportament mai puțin acceptabil și, în cele din urmă, luarea deciziilor radicale cu privire la cei în cauză care refuză schimbarea. În cadrul unei echipe, un membru toxic face mai mult rău decât binele generat de un membru superstar, potrivit unui studiu al Harvard Business School. De aceea, este esențial ca liderii să decidă cât mai rapid măsurile necesare pentru remedierea situației.

Revizuirea și abordarea acestor șase „paraziți” energetici pot ajuta stomatologii să fie mai productivi și mai capabili să construiască un loc de muncă puternic, sănătos pentru ei și echipa lor.

CONTINUING EDUCATION ⊲

for the Clinical Management of Impacted Maxillary Canines by Miguel Hirschhaut, DDS; Nelson Leon, DDS; Howard Gross, DDS, MS; and Carlos Flores-Mir, DDS, DSc. Originally published in Compendium of Continuing Education in Dentistry 42(5) May 2021.

Ghid pentru managementul clinic al caninilor maxilari incluși vestibular sau palatinal

Despre autori:

Miguel Hirschhaut, DDS

Private Practice limited to Orthodontics, Caracas, Venezuela; Adjunct Professor of Orthodontics, Universidad Central de Venezuela, Caracas, Venezuela

Nelson Leon, DDS

Private Practice limited to Oral and Maxillofacial Surgery, Caracas, Venezuela

Howard Gross, DDS, MS

Private Practice limited to Periodontics and Implant Dentistry, Lansdale, Pennsylvania

Carlos Flores-Mir, DDS, DSc

Professor, Division of Orthodontics, Department of Dentistry, University of Alberta, Edmonton, Alberta, Canada; Part-time Private Practice limited to Orthodontics, Edmonton, Alberta, Canada

Obiectivele acestui

studiu, bazat pe recenzia literaturii actuale privind managementul ortodontic și chirurgical al caninilor maxilari incluși, cuprind însușirea etiologiei, a secvenței corecte de management și a opțiunilor terapeutice, cu beneficiile și dezavantajele fiecărei decizii.

Caninul maxilar este un dinte de importanță capitală datorită morfologiei sale, poziției pe arcadă, funcției de protecție prin ghidajul canin și rolului în estetica zâmbetului. Poziția finală corectă a caninului pe arcadă este considerată o cheie pentru stabilitatea pe termen lung.

Un dinte impactat este unul care nu a erupt ca o consecință a unui blocaj datorat unei bariere fizice, cum ar fi un alt dinte, un chist cu dimensiuni mari, os, țesuturi moi, dinte supranumerar, odontom sau o tumoare. Al treilea molar mandibular este cel mai frecvent dinte impactat, urmat de caninii maxilari permanenți. Pentru a erupe, caninii maxilari trebuie să parcurgă o distanță mare de la marginea inferioară a orbitei până la arcadă și sunt, de asemenea, ultimii dinți anteriori care trebuie să erupă. Prevalența caninilor maxilari incluși este de aproximativ 2%, la femei de două până la trei ori mai frecvent. Două treimi dintre incluziuni sunt palatinale și doar o treime vestibulare, impactarea bilaterală având o prevalență de 8%.

Impactarea poate deplasa un dinte ca urmare a presiunii fizice, a prezenței unui chist, a resorbției radiculare (mai frecventă la incisivii laterali maxilari cu rădăcini conice orientate palatinal, dar poate fi observată și la centralii maxilari), generând durere locală sau iradiată alături de tulburări inflamatorii. Clinicienii trebuie să fie conștienți de faptul că poate exista o diferență de până la 6 luni între vârsta cronologică și cea de erupție a caninului maxilar pentru a exclude agenezia sau impactarea. Doar simpla observație a unui canin inclus fără intervenție după vârsta de 12 ani, cel mai probabil nu va rezolva situația. Diagnosticul și intervenția timpurie ajută la asigurarea unei gestionări ocluzale ulterioare mai ușoare. Dacă intervențiile timpurii eșuează, va fi necesară o soluție ortodontică chirurgicală interdisciplinară.

CAUZELE IMPACTĂRII

Posibilele cauze conform Becker, Chaushu et al includ: un folicul dentar mărit, odontomul, un dinte neerupt în calea de erupție, contact cu dintele adiacent, patologie periapicală pe traseul eruptiv, erupția întârziată a dintelui adiacent și absența sau prezența unui incisiv lateral îngust. Trebuie considerate trei seturi de criterii pentru evaluarea corectă a caninilor incluși: principiile de diagnostic, planificarea tratamentului și ghidurile biomecanice. Primul cuprinde toate măsurile de diagnostic (clinice și imagistice) necesare pentru a facilita o evaluare suficientă. Planificarea tratamentului se referă la comunicarea dintre ortodont și chirurgul oral pentru a obține o expunere adecvată. Biomecanica implică planificarea eficientă a vectorilor de forță ortodontică pentru un management clinic corect.

Bishara a împărțit cauzele incluziei în categorii generale și locale.

Printre cele generale se numără tulburările glandei tiroide, hipovitaminoza A și D, bolile febrile și infecțioase, radiațiile și sindroamele precum Crouzon și Down. Condițiile mecanice locale comune includ dinții supranumerari, odontoamele, traumatismele la o vârstă fragedă, despicătura labială și palatină. Alte cauze sugerate implică anomalii ale morfologiei sau poziției germenului dentar, modificări ale căii de erupție a caninului, anchiloza ligamentului parodontal (PDL), retenția prelungită sau pierderea timpurie a caninilor temporari, iatrogenia, dilacerarea rădăcinii și factorii idiopatici.

În general, se acceptă faptul că un motiv foarte specific al impactării vestibulare a caninilor maxilari este lipsa de spațiu sau o deficiență a lungimii arcadei. Studiile tomografice au arătat o relație între arcadele maxilare înguste și incluzia vestibulară, dar nu și în cazul impactărilor palatinale în dentiția permanentă. Jacobs a raportat o discrepanță a dimensiunii dinților în cazul caninilor impactați vestibular. Caninii sunt mai predispuși la impactare din cauza traseului relativ lung de erupție.

Conform autorului Becker, caninii impactați palatinal sunt rezultatul lipsei de ghidare din partea rădăcinii incisivului lateral, în cazurile când acesta lipsește sau prezintă deformări morfologice. Pe de altă parte, alți autori au propus o cauză genetică comună pentru caninii incluși palatinal și alte anomalii dentare, cum ar fi anodonția sau microdonția incisivilor laterali maxilari, hipoplazia smalțului, molarii temporari infraerupți sau un al doilea premolar mandibular cu un model de erupție modificat distal. Peck et al au afirmat că incluzia palatinală ar trebui abordată ca parte a unei viziuni mai largi asupra alterărilor cromozomiale.

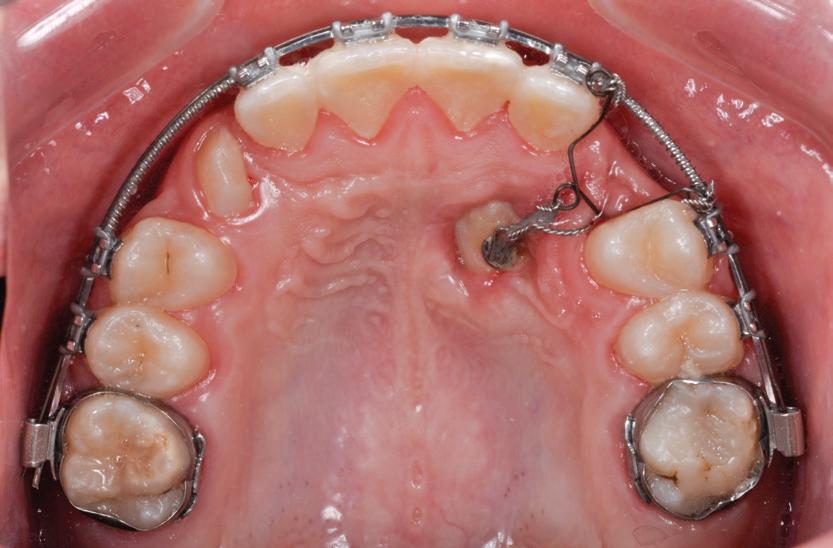
ARBORELE DE DECIZIE CHIRURGICAL / ORTODONTIC

Pentru a ajuta clinicienii în determinarea tratamentului optim al unui canin maxilar inclus, figurile 1a, b, c prezintă arborele de decizie chirurgical / ortodontic.

Diagnosticul incluziei de canin

Procesul diagnostic trebuie să urmeze o secvență logică și să includă o prezentare amănunțită a istoricului familial în ceea ce privește anomaliile dentare combinat cu examen clinic cuprinzător. Palparea trebuie suplimentată cu radiografii de screening inițial (Rx panoramică, Rx cefalică laterală, Rx ocluzală superioară și Rx periapicale prin tehnica Clark).

Pentru a obține mai multe informații, adesea este indicat un studiu volumetric prin tomografia computerizată cu fascicul conic (CBCT). Această imagistică avansată poate fi utilizată pentru evaluarea resorbției radiculare la dinții adiacenți, posibila transpoziționare între incisivul lateral maxilar și canin sau caninii maxilari care erup chiar deasupra apexului incisivilor laterali, dilacerațiile radiculare și anchiloza. În ceea ce privește resorbția radiculară, Ericson & Kurol au raportat că, pe baza CBCT, 38% dintre incisivii laterali, respectiv 9% dintre centralii maxilari au prezentat resorbție radiculară importantă în raport cu caninii impactați (fig. 2, 3).

Tehnologia CBCT și caninii impactați

Un instrument de diagnostic radiologic valoros, imagistica CBCT este indicată în funcție de informațiile obținute la examenul clinic și trebuie justificată pe baza nevoilor individuale ale pacientului. CBCT nu ar trebui să fie prima metodă de imagistică utilizată în cazurile în care nu există suspiciuni clinice ale unui canin inclus. Imaginea CBCT

DIAGNOSTIC

IMPACTARE TIMPURIE*

Decizie chirurgicală

Extracția caninului temporar

Figura: 1a. Arborele deciziei chirurgicale / ortodontice în cazul IMPACTĂRII TIMPURII.

* Diagnosticare prin istoric și examinare clinică. Consult cu pedodont sau chirurg cu privire la extracția caninuui inclus.

țintită este justificată numai după efectuarea unei evaluări clinice și atunci când alte imagini radiologice sunt neconcludente.

Deși intuitiv s-ar putea crede că CBCT este mai bun decât imagistica bidimensională (2D) în cazurile cu canini impactați, această ipoteză nu a fost testată pe deplin. Analizele sistematice ce au comparat performanțele diagnostice cu privire la caninii incluși utilizând CBCT versus imagistica convențională au arătat că, deși CBCT facilitează mai multă consistență în diagnostic și în deciziile de management inițiale, opiniile clinicienilor încă variază. Cu alte cuvinte, această metodă imagistică nu elimină diferențele în privința preferințelor de management personal. În acest sens, radiografia panoramică poate fi suficientă în multe cazuri.

O concluzie relativ similară a fost propusă atunci când s-au făcut comparații pentru angulația și poziția caninilor impactați; deși studiul

Decizie ortodontică

Crearea sau menținerea spațiului pe arcadă la nevoie

Sistem / ancoraj ortodontic și biomecanică

Dacă se creează spațiu: mecanică interarcadiană, expansiune maxilară rapidă, sau distalizare dacă pacientul este clasa II;

Dacă se menține spațiul: butonul Nance sau arcul lingual de menținere

a concluzionat că CBCT oferă poziții mai precise și mai puține inconsecvențe ale acordului și permit o mai mare varietate de planuri de tratament, s-a observat o lipsă de dovezi în ceea ce privește impactul efectiv asupra rezultatelor orientate spre pacient (de exemplu, durata tratamentului, nivelurile de durere, etc). Pe scurt, nu există dovezi solide care să ateste că CBCT ar trebui să fie metoda imagistică de primă linie pentru caninii incluși, deși ar putea fi indicată atunci când imagistica 2D este neconcludentă.

Tehnica chirurgicală: deschisă sau închisă?

Într-o recenzie sistematică ce a analizat caninii incluși palatinal și înalt situați, Parkin et al au concluzionat că nu există dovezi semnificative care să favorizeze fie erupția chirurgicală deschisă, fie pe cea închisă. Niciuna dintre tehnici nu a furnizat dovezi puternice ale unor rezultate mai bune în ceea ce privește este -

tica gingivală, sănătatea orală și confortul pacientului, fiind recomandate studii clinice randomizate suplimentare.

În cadrul altei recenzii, comparând ambele tehnici chirurgicale pentru caninii impactați palatinal, Sampaziotis et al au concluzionat că nu există nicio diferență în rezultatul parodontal sau în aspectul estetic, durerea post-chirurgicală fiind similară. Procedeul cu tehnica deschisă a fost raportat a fi mai scurt; cu toate acestea concluziile autorilor au fost formulate pe baza a doar două studii care au îndeplinit criteriile de includere.

Într-o meta-analiză ce compară ambele tehnici, Cassina et al au sumarizat că tehnica expunerii deschise prezintă un risc mai scăzut de anchiloză și un timp de tracțiune mai scurt. Din nou, această revizuire a inclus doar un număr mic de studii clinice, insuficient pentru a formula recomandări clinice precise.

Un dezavantaj al tehnicii de erupție închisă constă în faptul că dacă atașamentul ortodontic se slăbește, sunt necesare mai multe intervenții chirurgicale. Deoarece dintele se află în interiorul țesutului, vectorul forței este mai greu de controlat, iar tracțiunea este o mișcare oarbă. De asemenea, în cazul tehnicii închise există un risc crescut de anchiloză, motiv pentru care unii autori preferă abordarea chirurgicală deschisă. Totuși, în prezent nu există un consens clar cu privire la care abordare chirurgicală ar fi mai indicată.

Considerente spațiale în gestionarea timpurie a caninului impactat

Extracția unui canin temporar este o măsură simplă pentru prevenirea și gestionarea timpurie a caninului inclus. Poate fi utilizată singură sau împreună cu aparatele menținătoare de spațiu, cum ar fi butoanele Nance sau arcurile transpalatinale, sau aparatele pentru dobândirea spațiului. Jacobs a descris impor-

Sub MGJ: gingivectomie

Impactare care impune intervenție chirurgicală / ortodontică**

IMPACTARE VESTIBULARĂ

Decizie chirurgicală

Deasupra MGJ: lambou poziționat apical

** Diagnosticare prin istoric și examinare clinică. Consult cu periodont și chirurg. MCJ = joncțiunea muco-gingivală

Poziție foarte înaltă: erupție închisă (se ia în considerare lamboul poziționat apical posterior odată ce caninul se află într-o poziție mai favorabilă)

DIAGNOSTIC

Impactare care impune intervenție chirurgicală / ortodontică**

IMPACTARE PALATINALĂ

Decizie chirurgicală

Expunere deschisă

La pacienții tineri cu poziție canină adecvată, permiterea erupției spontane, apoi utilizarea tracțiunii vestibulare

SAU

Expunere inchisă***

Figura: 1b. Arborele deciziei chirurgicale / ortodontice în cazul IMPACTĂRII VESTIBULARE.

Decizie ortodontică

Tracțiune ortodontică spre arcadă

Sistem / ancoraj ortodontic și biomecanică

Atașament adeziv. Se folosește arc cu bază rectangulară și tracțiune cu ajutorul arcului secundar NiTi.

Figura: 1c. Arborele deciziei chirurgicale / ortodontice în cazul impactării PALATINALE.

Decizie ortodontică

La caninii slab poziționați care implică posibila afectare a rădăcinii incisivului lateral, se utilizează tracțiunea distală și palatinală

În cazurile cu anchiloză, se ia în considerare tracțiunea directă după luxație sau osteotomii; extracția este ultima soluție

Sistem / ancoraj ortodontic și biomecanică

Atașament adeziv. Se folosesc sisteme de ancoraj multiple, cum ar fi arcul cu bază rectangulară, arcul transpalatinal modificat, expansorul Hass sau Hyrax, minișuruburile palatinale (TAD) sau accesorii pentru porți batante

Sistem / ancoraj ortodontic și biomecanică

Atașament adeziv. Se utilizează tracțiune prin alveolă cu ligatură și lanț elastic continuu

** Diagnosticare prin istoric și examinare clinică. Consult cu periodont și chirurg.

***Doar dacă dintele inclus se află pe mijlocul crestei și a erupt prin alveolă.

tanța corectării deficiențelor spațiale la arcada maxilară. Baccetti et al au remarcat importanța expansiunii palatinale precoce în dentiția mixtă ca metodă preventivă pentru

caninii impactați palatinal. Expansiunea palatinală este o metodă reproductibilă și eficientă pentru creșterea lățimii arcadei și evitarea problemelor ulterioare.

Pedodonții ar trebui să indice o radiografie panoramică pacienților între 7-11 ani pentru a determina proximitatea coroanei caninilor în raport cu rădăcinile incisivilor

laterali și centrali. Multe situații se îmbunătățesc odată cu extracția caninului decidual, chiar și în cazurile de resorbție incipientă a incisivului lateral.

Cu toate acestea, extracția timpurie a caninilor temporari, cu sau fără măsurători de creștere a arcadei, nu funcționează tot timpul. Un studiu controlat randomizat recent efectuat de Naoumova & Kjellberg a oferit instrucțiuni cu privire la momentul extracției caninilor deciduali. Când caninul potențial impactat se află în sectorul 2 (pe peretele distal al incisivului lateral până la linia mediană a incisivului lateral) sau în sectorul 3 (linia mediană a incisivului lateral către aspectul distal al incisivului central) și înclinația sa relativă la un plan vertical imaginar este cuprinsă între 20°-30° este indicată extracția timpurie a dintelui decidual.

În cazurile în care înclinația este mai mică de 20° sau peste 30°, extracția timpurie a caninului temporar nu va afecta în mod semnificativ impactarea caninului permanent. Același principiu se aplică și caninilor incluși din sectoarele 1 (canin decidual), 4 (aspectul distal al incisivului central până la linia mediană a incisivului central) sau 5 (linia mediană a incisivului central până la linia mediană a arcadei maxilare). Este necesară expunerea chirurgicală a caninului și orientarea sa la distanță de rădăcinile din apropiere. S-a sugerat deplasarea caninului mai întâi palatinal sau vestibular, în funcție de caz, și apoi în direcție distală. O altă recomandare la pacienții cu incongruență severă este de a verifica răspunsul caninului impactat la tracțiune înainte de a decide extracția unui premolar.

Figurile:

2, 3. Scanările CBCT ale caninilor impactați palatinal; aspectul frontal (fig. 2) și ocluzal (fig. 3) 2 3

Considerente de ancorare la dinții incluși

Pentru tracționarea dinților impactați, este importantă utilizarea fie a unui arc de sârmă cu bază dreptunghiulară din oțel inoxidabil, fie o bară transpalatinală groasă, cu rigiditate adecvată. Acest lucru este esențial în special la caninii incluși palatinal. Evitarea utilizării arcurilor flexibile poate permite un control mai bun al efectelor adverse asupra dinților adiacenți în timpul tracțiunii. Se poate obține o ancorare suficientă în interiorul arcadei, prelucrând secvența până la arcurile 0,019 x 0,025 într-un slot de 0,022. Acest lucru previne deformarea arcurilor, deschiderea ocluziei din cauza tracțiunii, intruziunea dinților adiacenți și alte efecte adverse conexe. S-au utilizat diferite elemente externe, cum ar fi porțile batante, arcurile transpalatinale, extensoarele Hass, arcurile guad helix, expansoarele Hyrax și dispozitivele de ancorare temporară (temporary anchorage devices, TAD), ca aparate de ancorare alternative. În cazul unei bare transpalatinale, obiectivul este de a utiliza brațele de extensie în consolă pentru a tracționa caninul impactat în palat. Aceasta este urmată de tracțiunea caninului în poziția sa finală, utilizând arcuri de poziționare sau alte metode pentru a aduce dintele inclus pe arcada dentară (fig. 4, 5).

Considerente în timpul activării caninilor incluși

Trebuie să se aplice vectori de forță care să permită mobilizarea caninului dinspre rădăcina dinților

adiacenți, în special în cazurile cu o relație strânsă între canin și incisivul lateral. Caninii impactați foarte profund palatinal ar trebui să fie activați mai întâi ocluzal și, în multe cazuri, distal, înainte de a fi mutați în poziția dorită pe arcadă. Pot fi utilizate elemente auxiliare, precum lanțurile elastice, filetul elastic, bobinele de nichel-titan, arcurile de extruzie auxiliare, buclele baliste, brațele în consolă și TAD-urile. Atunci când se suspectează anchiloză, forța de tracțiune trebuie redusă, iar pacientul îndrumat către parodontolog. În astfel de cazuri, se recomandă o radiografie periapicală pentru a determina prezența țesutului osteoid, și a se asigura că țesutul parodontal urmează dintele în cursul deplasării sale.

DURATA TRATAMENTULUI ÎN CAZUL CANINILOR IMPACTAŢI

Într-o evaluare a duratei tratamentului ortodontic, Fink & Smith au analizat șase cabinete ortodontice private cu 118 pacienți și au concluzionat că timpul mediu de tratament ortodontic a fost de 23,1 luni, cu un interval cuprins între 19,4 - 27,9 luni la pacienții fără canini incluși. Un alt studiu a măsurat timpul de tratament în cazul adolescenților cu canini impactați palatinal gestionați cu erupție închisă. În cazurile unilaterale, timpul mediu de tratament a fost de 25,8 luni, în timp ce la cele bilaterale de 32,3 luni. Un studiu similar a fost condus cu adulți având canini impactați palatinal și gestionați prin tehnica erupției închise. Investigația a concluzionat că, deși tratamentul nu a durat mult, a necesitat mai multe vizite. Cazurile cu pacienți adulți au avut o rată de succes de 69,5% com-

parativ cu 100% în rândul pacienților adolescenți. De asemenea, toate cazurile fără succes terapeutic au implicat pacienți cu vârsta peste 30 ani. Ortodontul se confruntă adesea cu un canin inclus și cu necesitatea de a crea un spațiu adecvat pentru a facilita deplasarea înainte de expunerea chirurgicală. Acest lucru necesită arcuri cu lungime totală, cuplate la bracketuri, înainte ca dintele să fie expus și poate dura 2-4 luni. Parodontologii și chirurgii sunt adesea consultați pentru a evalua și expune chirurgical caninul inclus. Se efectuează un examen clinic și radiografic pentru a identifica localizarea dintelui, ce poate fi verificată prin trei metode diferite: palpare, radiografie și sondare transgingivală. Palparea proeminenței caninului neerupt permite clinicianului să simtă o zonă dură, bine circumscrisă; aceasta va fi locația dintelui impactat. Dacă această proeminență nu se poate detecta, este necesară o evaluare radiografică cu imagini laterale, ocluzale, panoramice sau periapicale. Regula SLOB (same-lingual, opposite-buccal) (același-oral, opus-vestibular) presupune două radiografii diferite prin schimbarea unghiului orizontal al capului tubului, menținând în același timp poziția filmului caninului impactat. CBCT este, de asemenea, o tehnică imagistică foarte precisă pentru determinarea poziției canine.

TEHNICI CHIRURGICALE

PENTRU CANINII IMPACTAŢI VESTIBULAR

O treime dintre caninii incluși se află poziționați facial. Pentru gestionarea caninilor impactați vestibular se pot aplica două tehnici.

Gingivectomia

Se practică îndepărtarea excizională a țesutului gingival. Vârful caninului trebuie să fie la nivelul sau sub joncțiunea mucogingivală (mucogingival junction, MGJ). Această

procedură este indicată dacă există o zonă largă de țesut gingival keratinizat și se efectuează fie cu un instrument Kirkland, fie cu o lamă 15 cu bizou extern. Dacă vârful caninului este situat coronar față de joncțiunea smalț-cement (cementoenamel junction, CEJ) a incisivului lateral, atunci se poate efectua gingivectomia. La finalizarea procedurii, cel puțin 3 mm din țesutul gingival keratinizat ar trebui să fie poziționat apical de CEJ. Cel puțin două treimi din coroana clinică ar trebui să fie expuse pentru a permite amplasarea bracketului. Un dezavantaj al acestei tehnici constă în necesitatea repetării procedurii dacă țesutul gingival se reface.

Lamboul repoziționat apical

Această tehnică este o opțiune atunci când nu există suficient țesut gingival keratinizat și este preferată atunci când caninul impactat este situat mezial față de incisivul lateral. Lamboul trebuie fixat și adaptat la dinte. Dezavantajele includ riscul de recesie și marginea gingivală neregulată, alături de necesitatea unei intervenții chirurgicale osoase extinse. Se efectuează incizii verticale, iar lamboul este deplasat într-o direcție laterală sau apicală. Se recomandă un design al lamboului în care baza și zona coronară sunt fie la aceeași lățime, fie mai înguste la bază, cu o grosime de 4-5 mm, astfel încât lamboul să fie suficient de lat meziodistal, extinzându-se cu 1,5 mm dincolo de unghiul dintelui (fig. 6, 7).

Osul acoperitor trebuie îndepărtat cu chiuretă sau freză diamantată pentru a expune porțiunea liberă a coroanei. Lamboul se poziționează apoi la CEJ și se fixează cu suturi periostale pentru o stabilitate mai mare. În funcție de gradul de impactare a caninului, se poate plasa un pansament parodontal, astfel încât țesutul să nu se închidă. Bracketul este plasat fie în momentul procedurii, fie la 10 zile postoperator. Dacă respectivul canin este situat prea apical, se preferă tehnica închi-

să. În general, deplasarea ortodontică începe la 4-6 săptămâni după expunerea chirurgicală. Când foliculul ce înconjoară caninul este larg, incizia lamboului trebuie făcută peste limitele acestuia, pentru a permite adaptarea optimă a lamboului la coroană și os. Pentru a determina buna adaptare a lamboului, atunci când buza se mobilizează, acesta ar trebui să rămână staționar.

TEHNICI CHIRURGICALE

PENTRU CANINUL IMPACTAT PALATINAL

Se pot utiliza două tehnici chirurgicale pentru a obține expunerea palatinală a caninului: deschiderea expunerii cu un lambou trapezoidal sau semilunar, sau expunerea închisă.

Expunerea deschisă

Se face o incizie semilunară înclinată cu o lamă 15 sau 15c de-a lungul porțiunii mezio-palatinale a dintelui, continuând disto-palatinal, cu o direcție conică către os. Cu ajutorul elevatoarelor periostale, se decolează un lambou cu grosime totală. Îndepărtarea osoasă se finalizează cu chiurete și instrumente rotative. Foliculul este îndepărtat cu grijă și se expune caninul suficient pentru a permite poziționarea corectă a bracketului. Acesta se atașează de dinte, și de el se conectează un arc de sârmă. Sângerarea în zonă este controlată cu utilizarea anesteziei locale, cu ceară osoasă, sau tifon impregnat cu anestezic 1:50.000.

O nouă lamă 15c se utilizează pentru fenestrarea țesutului gingival în locația bracketului și pentru a crea o trapă care expune bracketul prin lamboul fixat cu suturi. Utilizarea unui pansament parodontal în zonă este opțională. Forțele ortodontice sunt aplicate 2 săptămâni mai târziu în cazurile în care se dorește o tracțiune directă. S-a sugerat permiterea erupției spontane către planul ocluzal după expunerea deschisă și

Figurile: 4. Accesoriu de tipul porții batante utilizat pentru tracționarea directă a unui canin palatinal gestionat cu expunere deschisă.

5. Expunerea deschisă a unui canin cu impactare palatinală; s-a utilizat o bară transpalatinală ca sursă de ancorare cu un braț extensibil conceput pentru tracțiune directă.

6, 7. Utilizarea lamboului repoziționat apical pentru a gestiona caninii bilaterali cu impactare facială. După expunere, s-a practicat și frenectomia și au fost plasate bracketuri bilaterale (fig. 6). S-a realizat tracțiunea ortodontică, ce a permis poziționarea corespunzătoare a ambilor canini pe arcada superioară (fig. 7)

apoi direcționarea vestibulară a caninului (fig. 8, 9).

Expunerea închisă

Se efectuează o incizie intrasulculară sau crestală cu o lamă 15 sau 15c, de la premolar la linia mediană. Un lambou cu grosime totală este decolat cu un elevator periostal pentru a expune caninul impactat. Orice țesut restant și osos acoperitor se îndepărtează ușor cu instrumente manuale și rotative. Se aplică un bracket, se leagă un arc, iar lamboul se repoziționează și se suturează. Un avantaj sugerat al acestei abordări este estetica gingivală. Un dezavantaj constă în posibila detașare a bracketului din cauza lipsei unui câmp uscat în momentul plasării și, prin urmare, a necesității de reexpunere chirurgicală.

COMPLICAŢIILE TRATAMENTULUI CHIRURGICAL / ORTODONTIC

Complicațiile pe care ortodonții le pot întâlni în tratamentul dinților incluși includ devitalizările, expunerile secundare, anchiloza, afectarea dinților adiacenți și resorbția radiculară externă. Un protocol terapeutic adecvat permite păstrarea atașamentului parodontal. Până în prezent, nu există studii care să explice diferența de răspuns între adolescenți și adulți. S-a sugerat că PDL-ul (periodontal ligament, PDL) din jurul atrofiilor caninilor neerupți se atrofiază la pacienții vârstnici cauzând mobilizarea

mai lentă și mai puțin previzibilă. Utilizarea CBCT permite evaluarea PDL și a morfologiei radiculare. În cazurile de absență a spațiului ligamentar sau a prezenței unui apex dilacerat (în cârlig) se impune o analiză suplimentară pentru a exclude anchiloza locală (parțială) sau totală.

Incidența anchilozei crește odată cu înaintarea în vârstă și agravează prognosticul tratamentului caninului inclus. Pacienții trebuie informați cu privire la riscurile și beneficiile tratamentului caninilor anchilozați, astfel încât să poată decide dacă cel mai bun mod de acțiune este să se încerce luxația și tracțiunea, sau să se ia în considerare alte posibilități, cum ar fi extracția și inserarea unui viitor implant.

REACŢII PARODONTALE

NEFAVORABILE

O tehnică chirurgicală adecvată este esențială pentru managementul țesuturilor moi și al răspunsului parodontal. Deplasarea rapidă, forțele puternice și igiena orală inadecvată joacă un rol în răspunsurile nefavorabile. Pierderea osoasă marginală, recesia gingivală și sensibilitatea sunt complicații ale tratamentului

prelungit. Deși unii medici propun utilizarea perforațiilor și a tunelurilor pentru o durată mai scurtă, alții consideră acest lucru inacceptabil din punct de vedere parodontal deoarece, dacă din anumite motive, caninul nu poate fi poziționat pe arcadă, defectul parodontal restant va necesita grefare și proceduri suplimentare în cazul în care caninul urmează să fie înlocuit cu un implant.

RESORBŢIA RĂDĂCINII CANINULUI IMPACTAT ȘI / SAU A DINŢILOR ADIACENŢI

În ortodonția obișnuită fără canini incluși, un factor asociat cu resorbția rădăcinii este tratamentul prelungit. Dinții anteriori maxilari și mandibulari sunt predispuși mai frecvent să dezvolte resorbție radiculară. Alți factori legați de resorbția rădăcinii includ retracția anterioară, extracția, forțele ortodontice puternice și formele modificate ale apexului radicular.

Remington et al au observat un grup mare de pacienți fără impactări, la 10 ani după tratament, concluzionând că odată ce tratamentul este oprit, resorbția rădăcinii nu progresează dacă este legată de deplasarea dinților. Ericson et al au

raportat că șansa resorbției radiculare la incisivii laterali maxilari în cazul femeilor a fost de trei până la patru ori mai mare comparativ cu cea din rândul bărbaților cu canini impactați. Diagnosticul resorbției radiculare cu CBCT este mai precis la acești pacienți. O creștere a detectării resorbției radiculare a fost raportată la peste 50% din imaginile CBCT, comparativ cu imaginile 2D.

Mecanismul resorbției radiculare la incisivii laterali și centrali adiacenți nu este complet clarificat. Implicarea foliculului canin în resorbția rădăcinilor este mai controversată. Cercetătorii au sugerat că presiunea produsă de caninul în erupție și / sau modificările induse de foliculii dentari canini activi și măriți se numără printre posibilele cauze. În cadrul unui studiu tomografic, Yan et al au raportat o apropiere sub 1 mm între caninul inclus și rădăcinile dinților adiacenți pentru a avea o corelație puternică cu resorbția rădăcinii. Dağsuyu et al nu au identificat o asociere între dimensiunea foliculului și resorbția incisivului lateral. Totuși, ei au raportat foliculi mai asimetrici și mai mari la caninii impactați aproape de incisivii laterali resorbiți. Pe de altă parte, Chaushu et al au raportat resorbția rădăcinii la dinții adiacenți caninilor cu foliculi peste 2 mm.

Atunci când resorbția rădăcinii (chiar și fără jumătate din rădăcina caninului format) este prezentă la incisivii laterali în rândul pacienților cu vârsta între 9-10 ani, se recomandă efectuarea expunerii caninului și distanțarea acestuia

din proximitatea rădăcinii incisivului lateral. Odată ce caninul se află într-un loc îndepărtat și sigur față de incisivul lateral, forța ortodontică asupra acestuia ar trebui oprită pentru a permite dintelui să-și finalizeze formarea rădăcinii. S-a demonstrat că îndepărtarea caninului impactat din zona de resorbție a incisivului lateral permite depunerea cementului secundar peste dentina expusă, ceea ce poate genera o formă de reparare a dinților.

Prezența resorbțiilor radiculare preexistente pe versantele vestibulare sau palatinale ale incisivilor laterali trebuie documentată înainte de începerea tratamentului pentru a stabili că starea preexistentă nu este o consecință a tratamentului, chiar dacă, în cazurile cu resorbție semnificativă a rădăcinii, pierderea unui incisiv lateral și / sau central este o situație rară. Vermette et al au constatat rădăcini mai scurte după tratament în cazurile cu canini impactați deplasați pe arcadă. Cazurile cu cea mai mare resorbție a rădăcinii sunt cele ale caninilor incluși în mijlocul crestei; totuși, în multe cazuri, rădăcina incisivului lateral se îndepărtează de canin și se evită resorbția rădăcinii.

REZUMAT

Deși caninii maxilari impactați constituie o problemă relativ neobișnuită în populația generală, frecvența este percepută ca fiind ridicată. Caninii superiori incluși necesită un set complet de metode diagnostice clinice și imagistice pentru a îmbunătăți eficiența în timpul planifică-

Figurile: 8, 9. Expunerea deschisă (fig. 8) cu erupție spontană timp de 7 luni. Odată ce caninii au atins planul ocluzal, tracțiunea vestibulară a fost efectuată pentru încă 5 luni. Timpul total de tratament pentru deplasarea spre arcadă a caninilor impactați palatinal bilateral a fost de 12 luni (fig. 9)

rii tratamentului. Intervenția timpurie prin extracția caninilor deciduali și mecanica destinată câștigării de spațiu poate intercepta unele cazuri care altfel ar duce la impactare, în funcție de localizarea caninului față de dinții anteriori ipsilaterali. Dacă managementul precoce nu are succes, va fi necesar un tratament ortodontic chirurgical pentru a deplasa caninul pe arcadă.

Pentru caninii impactați bucal și palatinal s-au recomandat protocoale ortodontice și chirurgicale, decizia bazându-se pe dovezile disponibile. În cazul caninilor cu impactare vestibulară, poziția relativă la MGJ este esențială pentru a decide care procedură chirurgicală să se utilizeze. În aceste cazuri, pot fi utilizate trei tehnici, în funcție de poziția dintelui: gingivectomie, lambou poziționat apical sau erupție închisă. La caninii cu impactare palatinală, abordarea deschisă are mai multe avantaje în raport cu tehnica erupției închise. Cu toate acestea, tehnica închisă are indicații clare.

Utilizarea mecanicii ortodontice adecvate, împreună cu respectarea principiilor biomecanice de bază reduce probabil riscul complicațiilor terapeutice. Cei trei factori esențiali constau în pregătirea unei ancorări eficiente pe arcada maxilară, utilizarea unei tehnici adezive eficiente pentru atașarea ortodontică și aplicarea vectorilor de forță corespunzători pentru tracționarea caninului pe arcadă. Posibilele complicații ale tratamentului caninilor impactați includ anchiloza dintelui, resorbția radiculară a dintelui sau a dinților adiacenți, neajunsurile estetice gingivale la nivelul caninului tratat față de caninul contralateral și duratele terapeutice prelungite.

Chestionar

GHID PENTRU MANAGEMENTUL

CLINIC AL CANINILOR MAXILARI

INCLUȘI VESTIBULAR / PALATINAL

1. Așa cum au propus Becker, Chaushu et al, posibilele cauze ale dinților incluși cuprind:

a. un folicul dentar mărit;

b. un dinte neerupt aflat în calea de erupție;

c. patologie periapicală pe traseul eruptiv;

d. toate cele de mai sus.

2. Caninii sunt mai predispuși la impactare pentru că:

a. sunt dinți supranumerari;

b. au un traseu relativ lung de erupție;

c. determină ghidajul canin;

d. au un rol important în estetica dentară.

3. Procesul diagnostic implică, pe lângă scanarea radiologică inițială, un examen clinic care trebuie să includă:

a. palparea;

b. teste de percuție;

c. detectarea de carii;

d. screening pentru cancerul oral.

4. În cazurile în care nu există suspiciuni clinice de canin inclus:

a. CBCT ar trebui să fie prima metodă de imagistică utilizată;

b. 2D ar trebui utilizată doar dacă CBCT este neconcludent;

c. CBCT ar trebui să preceadă examinarea clinică;

d. CBCT nu ar trebui să fie prima metodă de imagistică utilizată.

5. Pentru a determina proximitatea coroanei caninilor în raport cu rădăcinile incisivilor, pedodonții ar trebui să indice o radiografie panoramică:

a. înaintea vârstei de 5 ani;

b. pacienților cu vârsta cuprinsă între 3-7 ani;

c. pacienților cu vârsta cuprinsă între 7-11 ani;

d. peste vârsta de 12 ani

6. În timpul activării caninilor incluși, vectorii de forță trebuie aplicați astfel încât să permită mutarea caninului la distanță de:

a. rădăcina dinților adiacenți;

b. marginea inferioară a orbitei;

c. marginea incizală a incisivului lateral;

d. sursa ancorajului ortodontic.

7. Gestionarea caninilor incluși vestibular implică gingivectomie dacă:

a. vârful caninului este deasupra joncțiunii mucogingivale; b. există o zonă largă de țesut gingival keratinizat; c. există o zonă insuficientă de țesut gingival keratinizat; d. toate cele de mai sus.

8. Care este procedura chirurgicală preferată atunci când caninul inclus este situat mezial față de incisivul lateral:

a. expunere închisă;

b. luxație cu elevator;

c. erupție spontană, urmată de tracțiune vestibulară; d. lambou repoziționat apical.

9. În cadrul procedurii de expunere închisă a caninilor incluși palatinal, se efectuează o incizie intrasulculară sau crestală:

a. de la premolar la linia mediană;

b. de la incisivul lateral la linia mediană;

c. de la linia mediană la fața distală a incisivului central;

d. de-a lungul aspectului mezio-palatinal al dintelui.

10. Retracția anterioară, extracția dinților, forțele ortodontice puternice și formele modificate ale apexului radicular sunt factori legați de:

a. reacții parodontale adverse b. odontoame c. resorbția rădăcinii d. anchiloza.

Primii 2500 de medici invitați deja în platforma

MyCMSR

⊲ COLEGIUL MEDICILOR STOMATOLOGI DIN ROMÂNIA

Colegiul Medicilor Stomatologi din România (CMSR) a lansat, la 15 octombrie, MyCMSR - o platformă digitală concepută pentru a facilita relația dintre medici și Colegiu și pentru a reduce birocrația la nivel național.

Accesul medicilor se face gradual, numai pe baza unei invitații de înscriere trimise pe e-mail la adresa înregistrată la colegiul teritorial, care conține un link personalizat. Prin intermediul acestuia, medicii se pot conecta în noul sistem de pe laptop, computer sau telefon mobil, fără a fi nevoie de o aplicație instalată. În vederea menținerii rigurozității procedurale, aplicația pentru platformele iOS și Android va deveni disponibilă pentru descărcare după

finalizarea transmiterii tuturor invitațiilor de aderare în sistem.

Au fost trimise peste 2500 de invitații de înscriere de către Colegiile Teritoriale din Bucuresti, Cluj, Argeș și Hunedoara. Procesul de înscriere a medicilor stomatologi în noua platformă digitală MyCMSR continuă în ritm susținut la nivel național. Prin intermediul platformei, medicii își vor putea actualiza și gestiona autonom datele profesionale, economisind timp și având acces constant la informațiile de interes.

„Lansarea MyCMSR reprezintă un pas esențial în transformarea digitală a CMSR. Mulțumesc colegiilor teritoriale pentru implicarea constantă și efortul susținut depus în procesul de implementare a MyCMSR. Contri-

buția fiecărui colegiu este esențială pentru succesul acestui proiect național de digitalizare. Îi încurajez pe toți colegii din teritoriu să continue cu aceeași rigurozitate și să accelereze procesul de înscriere, astfel încât toți medicii stomatologi să poată beneficia cât mai curând de avantajele oferite de noul sistem”- a declarat Dr. Florin Lăzărescu, Președintele Colegiului Medicilor Stomatologi din România

Pentru neclarități referitoare la datele profesionale din platformă (EMC, cotizații, documente), medicii se vor adresa colegiului teritorial de care aparțin, iar pentru suport tehnic există o echipă dedicată, care poate fi contactată telefonic la 0377.903.700 sau prin e-mail la adresa suport: medici@businessmedia.ro

PROCEDURA

DE REACREDITARE

A LECTORILOR IMPLICAŢI ÎN FURNIZAREA DE EMC PENTRU 2026

Conform art. 3 din Anexa nr. 2 a Deciziei nr. 16/2CN/2021 a CMSR, cu modificările și completările ulterioare, dosarele pentru acreditarea sau reacreditarea lectorilor pentru anul 2026 trebuie depuse la CMSR până la 15 noiembrie 2025.

Procedura pentru lectorii care solicită ACREDITAREA:

Colegiul teritorial al cărui membru este medicul solicitant va efectua o verificare riguroasă înainte de emiterea avizului – pentru asigurarea respectării condițiilor de acreditare prevăzute de Regulamentul EMC. Ulterior, până cel târziu la 15 noiembrie, se vor transmite CMSR:

• avizul colegiului teritorial;

• documentele justificative privind întrunirea condițiilor pentru acreditare;

• dovada plății taxei

Procedura pentru lectorii care solicită REACREDITAREA:

Dosarul transmis către colegiul teritorial va conține:

• cerere de reacreditare lector pentru anul 2026;

• dovada plății taxei

Lectorii care, în anul 2025, au întrunit toate cele 4 criterii cumulative de acreditare nu trebuie să transmită alte documente justificative. Aceeași regulă se aplică lectorilor care au întrunit 3 criterii - cele de la art. 1 lit. a), b) și d) din Anexa nr. 2 a Deciziei nr. 16/2CN/2021.

Lectorii care au întrunit 3 criterii, dintre care unul este lit. c) - „au susținut câte o prelegere la cel puțin 2 evenimente organizate în domeniul stomatologiei” - trebuie să facă dovada îndeplinirii acestei condiții pentru anul 2025.

DECIZIA nr. 16/2CN din 26 noiembrie 2021 privind reglementarea sistemului de EMC pentru medicii stomatologi, a criteriilor și normelor de acreditare a furnizorilor de EMC și a lectorilor, precum și a procedurilor de evaluare și creditare a formelor de educație medicală continuă adresate medicilor stomatologi poate fi consultată pe www.cmsr.ro

ACTUALIZAREA TEMATICII

ȘI BIBLIOGRAFIEI PENTRU

REZIDENŢIAT – UN DEMERS

ÎN SPRIJINUL FORMĂRII

PROFESIONALE DE CALITATE

CMSR a inițiat demersurile de actualizare a tematicii și bibliografiei manualului de admitere în rezidențiat, cu scopul de a alinia procesul de formare profesională la standardele actuale, literatura de specialitate și evoluțiile recente din practica stomatologică, în concordanță cu tendințele internaționale din domeniu.

Încă din primăvara acestui an, în urma acordului pentru colaborarea cu CMSR transmis de către coordonatorul Asociației Alianța Universitară G6-UMF a Universităților de Medicină și Farmacie din România, relevanța implicării CMSR a fost

recunoscută drept garanție a profesionalismului și a angajamentului comun față de excelența în formarea medicilor stomatologi.

Această colaborare interinstituțională, între mediul universitar și instituțiile profesionale a fost considerată esențială pentru a asigura:

• calitatea și actualitatea informației transmise;

• coerența conceptuală între conținutul academic și realitățile clinice;

• un proces transparent de validare științifică, cu participarea tuturor actorilor relevanți;

• adaptarea constantă a materialelor de studiu la evoluțiile științifice și tehnologice din domeniu.

CMSR va continua să solicite autorităților responsabilitate, transparență și bună-credință în exercitarea rolurilor legale care influențează calitatea formării și a practicării profesiei. De asemenea, CMSR susține necesitatea îmbunătățirii admiterii în rezidențiat și a stabilirii echilibrate a numărului de locuri la admitere, reafirmându-și angajamentul de a apăra interesele comunității stomatologice. Pentru detalii suplimentare, vă încurajăm să consultați comunicatul CMSRhttps://cmsr.ro/comunicate/

CLINICAL TECHNIQUE ⊲

Sulcular Modified Internal Labial Enhancement (SMILE) Technique for Gingival Augmentation by David Anson, DDS; and Robert A. Horowitz, DDS. Originally published in Compendium of Continuing Education in Dentistry 41(4) April 2020. © 2021 AEGIS Publications, LLC. All rights reserved. Reprinted with permission of the publishers.

Tehnica SMILE pentru augmentarea gingivală etape,

cazuri clinice

⊲ PERIODONTAL THERAPY

Acest articol descrie o procedură de augmentare gingivală, tehnica labială sulculară internă modificată (SMILE) – de tunelizare combinată cu xenogrefă și PRF ce necesită semnificativ mai puține instrumente decât alte tehnici comparabile.

ODespre autori:

David Anson, DDS

Private Practice, Beverly Hills, California

Robert A. Horowitz, DDS

Adjunct Clinical Assistant Professor, Periodontology and Implant Dentistry, New York University College of Dentistry, New York, New York;

Private Practice, Scarsdale, New York

biectivele augmentării țesuturilor moi în parodontologie, cunoscută și sub denumirea de chirurgie plastică parodontală, sunt variate. Acestea includ acoperirea rădăcinii (rădăcinilor) până la joncțiunea cement-smalț (cementoenamel junction, CEJ) în scop estetic, sensibilitatea redusă la temperatură (la nevoie), protecția cementului expus de uzura ulterioară, adaptarea cromatică la cea a țesutului adiacent și un contur adecvat. De asemenea, alte obiective cuprind dezvoltarea de țesut keratinizat suficient atașat, eliminarea tracțiunilor asupra frenului, obținerea adâncimilor de sondare egale sau mai mici de 3 mm, lipsa sângerării la sondare și reducerea disconfortului pacientului.

Există limitări în ceea ce privește gradul de acoperire a rădăcinilor ce poate fi obținut, deoarece țesutul moale facial direct va fi întotdeauna apical față de înălțimea papilelor (morfologie festonată), iar poziția papilară nu poate fi mutată coronar în mod previzibil dacă este apicală în raport cu nivelul CEJ. Prin urmare, în cazul recesiunii interproximale nu este posibilă acoperirea completă a rădăcinii. În plus, cele mai previzibile rezultate se obțin atunci când există cel puțin 3 mm între rădăcinile adiacente, astfel încât papilele să aibă o lățime mezio-distală de minimum 3 mm. Similar altor tehnici din stomatologie, procedurile utilizate pentru augmentarea țesuturilor moi ale rădăcinilor denudate au evoluat

de-a lungul anilor. Accentul se pune astăzi pe cele minim invazive, practicienii depunând eforturi pentru o predictibilitate mai mare, cu morbiditate locală scăzută. Evoluția în acoperirea rădăcinii a început cu utilizarea grefei gingivale libere atunci când nu era posibilă o grefă poziționată lateral sau coronar. Într-un recent studiu observațional pe termen lung de sporire a cantității de țesut keratinizat prin grefă gingivală liberă, terapia a condus la o recesie mai redusă observată pe parcursul a 25 ani față de siturile netratate. Dezavantajele semnificative ale acestei tehnici sunt totuși cerința unui al doilea loc chirurgical pentru țesutul donor, ceea ce conduce la o morbiditate mai mare și la o lipsă de armonizare cu țesutul adiacent în ceea ce privește culoarea și conturul.

Grefa de țesut conjunctiv propusă de către Langer & Langer a devenit ulterior tehnica preferată în parodontologie datorită morbidității mai reduse a palatului, aportului de sânge mai bun la locul de destinație, potrivirii cromatice bune și conturului favorabil. Totuși, în cazul acestor tehnici, aportul limitat de țesut autogen de la nivelul palatului restricționează numărul de dinți ce pot fi abordați pentru fiecare intervenție chirurgicală.

Între timp, s-au dezvoltat tehnici mai noi care au eliminat nevoia de țesut autogen din palat, permițând tratarea mult mai multor dinți într-o singură intervenție chirurgicală. Aceste tehnici utilizează în general alogrefe de țesut sau xenogrefe, împreună cu diverse tehnici de tunelizare. O metodă recent dezvoltată de Chao, tehnica chirurgicală cu orificiu (pinhole surgical technique, PST), reprezintă o evoluție a abordării prin tunelizare, aspectul nou constând în lipsa suturii.

O analiză sistematică condusă de American Academy of Periodontology’s Regeneration Workshop a evaluat o serie de tehnici, inclusiv procedurile bazate pe țesut conjunctiv subepitelial și lamboul deplasat coronar plus grefele de matrice dermică celulară, derivat de matrice de smalț și procedurile cu matrice de colagen. Cele bazate pe grefa de țesut conjunctiv au generat procente superioare ale acoperirii radiculare medii și complete, precum și o creștere semnificativă a țesutului keratinizat. Cu toate acestea, nu au fost revizuite tehnicile de tunelizare.

În cazul tehnicii PST anterior menționată, Chao a subliniat o durată chirurgicală redusă și o mai mică morbiditate decât prin grefarea de țesut conjunctiv, atunci când a comparat rezultatele sale cu un studiu realizat de către Wessel & Tatakis. Cu toate acestea, într-o altă lucrare ce a comparat grefele de țesut conjunctiv cu tehnica de tunelizare, s-a constatat opusul. Aceste rezultate contradictorii se pot datora diferitelor abordări utilizate atât în tehnica de tunelizare, cât și în cele cu țesut conjunctiv.

Tehnica de augmentare gingivală labială sulculară internă modificată (sulcular modified internal labial enhancement, SMILE) este o altă abordare a tehnicii de tunelizare, cu adăugarea de fibrină îmbogățită în trombocite (platelet-rich fibrin, PRF)

Tratamentele de suprafață a rădăcinilor (de exemplu, cu derivat al matricei de smalț, lasere, tetraciclină etc.) nu par să aibă un efect aditiv asupra procentului de acoperire a rădăcinii obținut prin grefarea cu țesut conjunctiv, dar se studiază efectul procedurilor ce nu utilizează țesutul conjunctiv. De asemenea, tratamentele de suprafață ale rădăcinilor trebuie

investigate prin prisma efectelor asupra morbidității pacientului și a rezultatelor histologice. S-a studiat utilizarea PRF în vindecarea țesuturilor moi, rezultatele pozitive fiind prezentate în ceea ce privește timpul de vindecare și morbiditatea. Efectele asupra rezultatelor pe termen lung legate de acoperirea rădăcinii nu s-au dovedit a fi semnificative.

Acest articol descrie o procedură, tehnica SMILE, o tehnică de tunelizare combinată cu xenogrefă și PRF ce necesită semnificativ mai puține instrumente decât alte tehnici comparabile.

PROTOCOLUL TEHNICII

Ca în orice procedură de acoperire a rădăcinii, o debridare completă a suprafeței acesteia este pasul inițial, esențial în tehnica SMILE. Poate fi realizat prin instrumentare manuală, o piesă de mână de mare viteză și instrumentare cu ultrasunete. Dacă anterior a fost plasată o restaurare compozită, aceasta poate fi îndepărtată cu freze de mare viteză și instrumente manuale pentru a obține o suprafață plană și curată a rădăcinii. De asemenea, ar trebui să existe o tranziție lină de la suprafața rădăcinii la smalțul vestibular. Planarea suprafeței rădăcinii se realizează cel mai bine înainte de dezvoltarea tunelului, deoarece câmpul este mai uscat, timpul total de eliberare a țesutului va fi redus și va exista o contaminare mai mică sub țesutul moale. Cu toate acestea, dacă suprafața rădăcinii expuse conține o concavitate foarte mare sau

dimensiunea recesiunii este extrem de subțire mezio-distal, poate fi necesară întâi dezvoltarea tunelului pentru a plana complet suprafața rădăcinii.

După ce s-a completat planarea radiculară, se eliberează țesutul moale facial. Această procedură începe cu o abordare sulculară, utilizând inițial un elevator papilar sulcular (dezvoltat de autor, fig. 1). Instrumentul ascuțit se introduce sub țesutul interproximal, iar țesutul papilar facial se ridică cu grijă folosind o mișcare ușoară de balansare, atingând grosimea maximă și avansând încet spre profunzime, apropiindu-se de papile, mezial și distal, până când instrumentul progresează complet sub țesut și reiese la celălalt capăt (fig. 1).

Apoi, facial și interproximal se utilizează o daltă Fedi ascuțită pentru a elibera ușor restul țesutului sulcular, cu atenție extremă pentru a evita perforarea acestuia sau desprinderea papilelor (fig. 2). Se realizează elevarea gingivală cu grosime totală, dar când dalta ajunge la mucoasă, se va utiliza o eliberare cu grosime divizată pentru a întinde ușor țesutul facial. Odată ce gingia este eliberată, o mică incizie, de aproximativ 5-6 mm lungime, este practicată adânc în vestibulul din zona canină (fig. 3). Incizia nu trebuie să fie direct pe fața vestibulară a dintelui; ca și în cazul poziționării coronare, incizia ar putea fi poziționată pe suprafața rădăcinii. Atunci când se tratează zonele anterioare, se face adesea o incizie suplimentară în linia mediană, mai ales atunci când există o tracțiune a frenului. În acest moment, se utilizează dalta Fedi pentru a elibera în continuare țesutul facial într-o manieră cu grosime divizată. Instrumentul este introdus prin incizia apicală și apoi mișcat înainte și înapoi, orizontal și vertical, pentru a elibera și eleva țesutul (fig. 4). În zonele de țesut

subțire și/sau creste osoase în care clinicianul nu poate elibera complet țesutul marginal cu abord sulcular, dalta Fedi poate fi manevrată prin incizia apicală pentru a separa țesutul atașat. Țesutul ar trebui să poată fi mutat coronar către CEJ și, dacă este posibil, dincolo de aceasta, cu grijă din nou la papile (fig. 4). Dalta Fedi este, de asemenea, utilizată interproximal pentru a ridica papilele cât mai mult posibil, fără a le secționa. La arcada mandibulară, trebuie să se aloce atenție în jurul zonei nervului mental. Deoarece în mucoasă se folosește o abordare cu grosime parțială, aceasta nu este de obicei o problemă, dar clinicianul trebuie să fie conștient de localizarea nervului.

Următorul pas este plasarea xenogrefei și a PRF. O xenogrefă de colagen din peritoneu porcin care, conform producătorului se resoarbe în 12-16 săptămâni, se secționează în benzi cu dimensiunea aproximativă de 4 x 10 mm. De obicei, este necesară o membrană de 30 x 40 mm per sextant. Benzile de colagen sunt apoi îmbibate în soluția slabă de trombocite obținută în procedura PRF și ulterior se plasează prin inciziile apicale. Poziționarea benzilor de colagen începe sub papile și parțial folosind clești de bumbac (fig. 5).

Membranele PRF sunt procesate așa cum este descris de către Dohan și Choukroun et al. După ce cheagurile inițiale de fibrină sunt îndepărtate din tuburile roșii prevăzute în kitul PRF, acestea sunt comprimate în „cutia” metalică perforată inclusă în kit. Lichidul exprimat în partea de jos a cutiei este utilizat pentru hidratarea membranelor de colagen. Membranele de colagen nu ar trebui să fie plasate prin zona sulculară, deoarece acest lucru poate rupe papilele.

Dalta Fedi poate fi apoi utilizată pentru a poziționa mai posterior și coronar benzile, cu scopul de a susține papilele cu o presiune ușoară. Fâșiile suplimentare sunt apoi utilizate facial pentru a poziționa pasiv țesutul într-o poziție coronară.

Unele benzi de colagen pot fi lăsate expuse prin sulcus. Membranele PRF sunt apoi secționate în bucăți (fig. 6) și introduse în situsul chirurgical. Suturarea nu este recomandată deoarece, din greșeală, materialele grefate pot fi împinse apical.

La finalizarea intervenției chirurgicale, în vestibul se plasează compresă umedă timp de 3-5 minute pentru a asigura hemostază și stabilitatea lamboului (fig. 7).

Instrucțiunile postoperatorii includ evitarea igienei orale de rutină în zona chirurgicală timp de 3-4 zile și apoi utilizarea unei periuțe de dinți ultra-moi din direcție apicală spre coronară, de două ori pe zi, împreună cu o soluție orală antiseptică. Se pot utiliza fie clorhexidina, fie o soluție de gură cu uleiuri esențiale, dar acestea pot avea un efect dăunător asupra fibroblastelor (dependent de doză in vitro), iar clorhexidina poate provoca colorare atunci când este utilizată pe termen lung. Pacientul este sfătuit să evite folosirea aței dentare în zona tratată timp de 6 săptămâni.

De obicei, postoperator sunt prescrise antiinflamatoare nesteroidiene și antibiotice. De exemplu, 1g amoxicilină per os prechirurgical, apoi 500 mg de trei ori pe zi pentru șapte zile; dacă pacientul este alergic la amoxicilină, poate fi prescrisă clindamicină 150 mg, două capsule pre-chirurgical, apoi o capsulă de patru ori pe zi, sau două capsule de două ori pe zi, timp de 7 zile, sau azitromicină conform indicațiilor.

PROTOCUL TEHNICII

Figurile: 1. Ridicarea papilei faciale cu elevatorul papilar sulcular. 2. Dalta Fedi utilizată pentru a ridica țesutul prin sulcus. 3. Incizie apicală folosind o lamă 15c. 4. Ridicarea țesutului facial prin incizie apicală cu o daltă Fedi. 5. Plasarea benzilor de colagen prin incizia apicală. 6. PRF după prelucrare și fragmentare. 7. Intervenția finalizată în cadranul superior drept fără utilizarea suturilor.

CAZUL (1)

Un pacient în vârstă de 48 ani s-a prezentat cu sensibilitate generalizată la modificări termice, recesie progresivă, abrazie cervicală și abfracții; a recunoscut că este foarte

CAZUL (1) Figurile:

8. Imagine de ansamblu preoperator: recesie, afectare mucogingivală și abrazie cervicală.

9. Aspect clinic imediat postoperator.

10. Aspect clinic la 1 săptămână postoperator.

11. Aspect clinic la 5 luni postoperator.

agresiv cu igiena orală (fig. 8). Istoricul de sănătate nu era contributiv. Procedura de tunelizare SMILE a fost efectuată conform protocolului descris anterior, inclusiv utilizarea PRF. Zona tratată s-a întins de la molarul 1.7. până la centralul 1.1., extinzându-se cu două papile anterior față de zona cu recesie.

Pacientului i s-a administrat amoxicilină, 1 g imediat, apoi câte 500 mg de trei ori pe zi timp de o săptămână. Rezultatele imediat postoperatorii, apoi la 1 săptămână, respectiv la 5 luni postoperator sunt ilustrate în fig. 9-11.

CAZUL (2)

Pacientul în vârstă de 53 ani, cu bruxism și obiceiuri agresive de igienă orală, prezenta dinți mandibulari cu abrazie cervicală și o tracțiune frenulară la nivelul caninului 3.3.

(fig. 12). Procedura a fost efectuată cu PRF la nivelul cadranului mandibular stâng, urmând protocolul descris anterior (fig. 13), de la distalul molarului 3.7. până la mezialul centralului 4.1.; cadranul mandibular drept a fost planificat într-o etapă ulterioară. Vindecarea a decurs fără incidente (fig. 14). La evaluarea după 5 luni de la intervenție, s-a notat acoperirea completă a rădăcinii și eliminarea tracțiunii frenului asupra țesutului marginal (fig. 15).

CAZUL (3)

Un pacient în vârstă 59 ani s-a prezentat cu recesie anterioară extinsă mandibulară (fig. 16), în evoluție (afirmativ) și multiple restaurări compozite cervicale la nivelul 3.2., 3.3. și 4.1. În plus, era evident bruxismul pentru care utiliza constant gutieră nocturnă. Compozitele au fost îndepărtate și toate rădăcinile anterioare mandibulare au fost planate. Nu s-a efectuat condiționarea rădăcinii. Au fost practicate trei incizii apicale: două plasate aproximativ la unghiurile liniei distale a caninilor și una în

zona incisivilor 4.1.-4.2., iar procedura a fost realizată urmând protocolul descris anterior, fără suturi (fig. 17). La 5 luni postoperator, era evidentă o creștere a cantității de gingie keratinizată atașată (fig. 18).

DISCUŢII

Recoltarea țesutului autogen de la nivel palatal are limitări, inclusiv disconfort și parestezie, reală sau percepută, și insuficiență anatomică. Din aceste considerente, sunt adesea alese soluții alternative de țesut alogen și xenogen. În efortul de a spori activitatea biologică pentru a îmbunătăți acoperirea radiculară, unii cercetători au hidratat aceste materiale de grefare cu plasmă bogată în trombocite (platelet-rich plasma, PRP), potențatori ai creșterii recoltați din sângele pacientului.

În cadrul unei analize comparative, Shepherd et al au hidratat o matrice dermică celulară în PRP, respectiv în soluție salină, și au inserat-o ulterior prin tehnica tunelizării. Rezultatele au obiecti-

Figurile:

12. Aspect preoperator: abrazie substanțială a coletului, implicare mucogingivală și o tracțiune a frenului.

13. Aspect imediat postoperator; era evidentă incizia apicală.

14. Aspect la 1 săptămână postoperator.

15. Aspect la 5 luni postoperator.

vat o acoperire a rădăcinii de 90% în grupul PRP, respectiv de 70% în cel salin. Deși ambele grupuri au prezentat îmbunătățiri clinice, încorporarea PRP în regimul de tratament nu a avut ca rezultat o semnificație statistică.

În prezentul studiu, în care a fost utilizată o nouă abordare minim invazivă pentru acoperirea rădăcinii, țesutul alogen a fost hidratat în exsudat lichid rezultat din formarea barierelor PRF. Cantități mici de factor de creștere derivat din trombocite-BB (platelet-derived growth factor-BB, PDGF-BB), factor de creștere de tip insulină-1 (insulin-like growth factor-1, IGF-1) și

cel de creștere beta 1 transformant (transforming growth factor beta 1, TGF-β1) au fost identificate în lichidul care hidratează grefa.

Totuși, în cazul tehnicii de față, după introducerea grefei în tunel, în situl chirurgical se plasează bariere suplimentare ale PRF care sunt formate diferit față de un cheag de PRP. Când se utilizează PRP, polimerizarea rapidă cauzată de trombina extrinsecă duce la o eliberare rapidă a factorilor de creștere conținuți în membrană. Deoarece PRF se dezvoltă printr-un proces lent de cicatrizare, aceste materiale sunt eliberate într-un interval de timp semnificativ mai lung. Combinația dintre abordarea chirurgicală,

bariera și PRF toate pot contribui la rezultatul de succes al cazurilor prezentate.

Alți cercetători au încorporat PRF în procedurile chirurgicale de acoperire a rădăcinilor, cu abordări chirurgicale tradiționale. Horowitz a folosit PRF fie singur, fie cu soluție de hidratare, inserând și alte bariere de colagen. Rezultate excelente au fost obținute la 2 până la 6 luni și menținute timp de 5 ani. Öncü a arătat că membranele PRF s-au comportat favorabil în cazul grefelor de țesut conjunctiv subepitelial (subepithelial connective tissue, SECT) inserate sub lambouri deplasate coronar. El a demonstrat

CAZUL (2)

că situsurile tratate prin SECT au prezentat un procent mai mare de acoperire a rădăcinilor și că nu a existat nicio diferență statistic semnificativă în acoperirea completă a rădăcinii între regiunile tratate SECT și PRF. În plus, în prima săptămână postoperatorie a existat un disconfort semnificativ mai mic în locurile tratate cu PRF. Moraschini et al au efectuat o meta-analiză asupra PRF în tratamentul recesiei gingivale și nu au observat o îmbunătățire a lățimii țesutului keratinizat, a acoperirii radiculare sau a nivelului de ata-

CAZUL (3)

Figurile:

16. Imagine preoperatorie: restaurări cervicale corespunzător 3.3., 3.2. și 4.1.

17. Aspect imediat postchirurgical, cu incizii apicale distale de canini și o incizie apicală în dreptul incisivilor 4.1. și 4.2.

18. Aspectul clinic la 5 luni postoperator.

șament atunci când a fost utilizat PRF.

Bariera de xenogrefă utilizată în acest studiu de caz este o membrană de colagen resorbabilă, foarte conformabilă, puternică din punct de vedere biomecanic, fabricată din peritoneu porcin purificat printr-o serie de tratamente pentru îndepărtarea componentelor necolagene. După purificare, membrana a fost ușor reticulată (cross-linked) în scopul stabilizării matricei, pentru o performanță și un timp de resorbție previzibile. La finalizarea etapei de stabilizare, îndepărtarea agentului

de reticulare a generat o membrană extrem de biocompatibilă. Produsul final a fost apoi fragmentat în diferite dimensiuni și sterilizat prin iradiere gamma. Membrana în sine este semnificativ poroasă, așa cum se poate vedea într-o imagine de secțiune cu microscop electronic de baleiaj (SEM) de înaltă rezoluție (fig. 19). Această porozitate permite absorbția lichidului obținut din PRF atunci când este îndepărtat din tuburi și comprimat în cutia metalică perforată. Suprafața substanțială permite, de asemenea, adsorbția proteinelor și a factorilor de creștere pe colagenul propriu-zis.

PRF a fost utilizat în acest raport de caz în două moduri diferite. Membranele de colagen au fost hidratate în lichidul exsudat din barierele PRF comprimate, sau din „cheaguri”, după prepararea lor. Acest lucru permite eliberarea pe termen lung a factorilor de creștere. Pentru a se asigura că membrana de colagen rămâne în locația exactă atunci când este inserată prin incizia verticală, este fixată pe poziție cu un instrument mic (fig. 20), ce permite inserarea barierelor PRF fie în bucăți mici, fie în membrane cu lungime completă (fig. 21) direct sub membrana colagenului. Datorită metodei de fabricație, membranele PRF vor elibera factori de creștere până la 4 săptămâni, ceea ce ar fi putut contribui la vindecarea excelentă înregistrată în cazurile prezentate.

Viitoarele studii ale metodei prezentate ar trebui să examineze mai multe opțiuni. Tratamentul suprafeței rădăcinii cu acid etilendiaminetetraacetic (EDTA) poate îmbunătăți suprafața dentinei și capacitatea acesteia de a obține regenerarea parodontală reală. În mod similar, s-a demonstrat că adăugarea derivatului matricei de smalț permite în mod previzibil atât acoperirea rădăcinii, cât și regenerarea parodontală adecvată. Studiile pe termen lung vor determina dacă aceste rezultate se mențin pe parcursul mai multor luni și ani.

În cele din urmă, tehnologia de scanare digitală poate permite cercetătorilor să obțină o analiză mai precisă atât a acoperirii radiculare verticale, cât și determinarea grosimii țesutului rezultat din această abordare combinată. Îmbunătățirea

biotipului unui pacient poate avea aplicații în terapiile preprotetice și implantare atât pentru îmbunătățirea estetică, cât și pentru conservarea pe termen lung a nivelurilor marginilor gingivale.

CONCLUZII

Tehnica SMILE reprezintă o modificare a metodelor actuale de acoperire a rădăcinilor țesuturilor moi. În mod obișnuit necesită doar un elevator papilar sulcular și alte câteva instrumente utilizate în mod uzual. Tehnica folosește o abordare sulculară, precum și una apicală, iar materialul este o combinație de benzi de membrană de colagen și PRF. Nu sunt utilizate suturi în tehnică, iar disconfortul postoperator este comparabil cu al altor metode actuale de acoperire a rădăcinilor

Figurile: 19. Imaginea SEM a barierei colagenului xenogrefă; vederea pe secțiune transversală 100X arată o porozitate ridicată a structurii interne. 20. Bariera de colagen hidratată introdusă prin tunel, stabilizată cu un microclește drept. 21. Barieră PRF pe toată lungimea inserată între bariera de colagen și os.

prin tehnica tunelizării. Nu este necesar un situs chirurgical secundar, ceea ce poate spori acceptarea din partea pacientului. Cadranele și/sau arcadele pot fi tratate într-o singură ședință chirurgicală, deoarece tehnica nu este limitată de cantitatea de țesut autogen realizabil, iar rezultatele sunt previzibile. Adăugarea PRF la tehnică nu poate modifica rezultatele pe termen lung în ceea ce privește gradul de acoperire a rădăcinilor, dar poate facilita vindecarea mai rapidă și morbiditate postoperatorie redusă.

Adverse Effects of Ultrasonic Instrumentation and Air Polishing on Dental Restorations: A Systematic Review of Laboratory Studies by Jeronim Esati1, Tarek Amran1, Roland Weiger1, Lujain Alsulaimani2, Markus B. Blatz3, Florin Eggmann1,3. Originally published in Journal of Esthetic and Restorative Dentistry, 2025; 0:1–12 https://doi.org/10.1111/jerd.13428 ©2025 Wiley Periodicals LLC. Article info: Received: 15 October 2024; Revised: 17 January 2025; Accepted: 21 January 2025; Available online [17088240, 0, Downloaded from https:// onlinelibrary.wiley.com/doi/10.1111/jerd.13428 by neha dixit - Schweizerische Akademie Der, Wiley Online Library on [03/03/2025]. See the Terms and Conditions (https://onlinelibrary.wiley.com/terms-and-conditions) on Wiley Online Library for rules of use; OA articles are governed by the applicable Creative Commons License].

Efectele adverse ale instrumentării ultrasonice și air-polishing asupra restaurărilor dentare: o recenzie a studiilor de laborator

ADVERSE EFFECTS ON DENTAL RESTORATIONS

Despre autori:

Jeronim Esati1 , Tarek Amran1 , Roland Weiger1 , Lujain Alsulaimani2 Markus B. Blatz3 Florin Eggmann1,3

1. Department of Periodontology, Endodontology, and Cariology, University Center for Dental Medicine UZB, University of Basel, Basel, Switzerland; 2. Dental Department, Al Baha Specialized Dental

CUVINTE CHEIE materiale dentare, profilaxie dentară, restaurări eșuate, iatrogenie, debridare parodontală, restaurări definitive

Obiectiv. Scopul acestei recenzii sistematice a fost de a evalua efectele instrumentării ultrasonice și ale tehnicii de air-polishing asupra rugozității suprafeței și a integrității marginale ale restaurărilor dentare, investigând impactul potențial negativ asupra diferitelor tipuri de biomateriale.

Metode. Au fost investigate cinci baze de date electronice dar și înregistrări realizate manual, pentru identificarea studiilor de laborator relevante. Un număr de 42 dintre acestea au îndeplinit criteriile de includere, fiind analizate datele

Hospital, Ministry of Health, Al Bahah, Saudi Arabia; 3. Department of Preventive and Restorative Sciences, Penn Dental Medicine, University of Pennsylvania, Philadelphia, Pennsylvania, USA; Correspondence: Florin Eggmann (florin.eggmann@unibas.ch)

referitoare la rugozitatea suprafeței și calitatea marginală. Evaluarea riscului de eroare sistematică (bias) s-a realizat cu ajutorul RoBDEMAT. Rezultate. Instrumentarea ultrasonică a generat o creștere semnificativă a rugozității, în special în cazul cimenturilor ionomerice modificate cu rășină și al compozitelor pe bază de rășină, în timp ce zirconia și disilicatul de litiu au fost mai puțin afectate. Tehnica de lustruire-cu-aer (air-polishing), mai ales atunci când s-au utilizat pulberi de bicarbonat de sodiu sau carbonat de calciu, a crescut de asemenea rugozitatea suprafețelor. În schimb, pulberile de eritritol și glicină s-au dovedit a fi cele mai puțin abrazive. Atât detartrajul ultrasonic, cât și air-polishing au influențat negativ calitatea mar-

ginală a restaurărilor. Evaluările RoBDEMAT au indicat deficiențe în randomizare, justificarea dimensiunii eșantionului și lipsa caracterului-orb în cadrul studiilor.

Concluzii: Instrumentarea ultrasonică și air-polishing pot avea efecte adverse asupra restaurărilor dentare, intensitatea impactului variind în funcție de biomaterial și metoda de debridare aplicată. Se recomandă utilizarea pulberilor cu abraziune redusă, precum eritritolul și glicina. Sunt necesare îmbunătățiri metodologice și studii clinice suplimentare pentru a consolida aplicabilitatea acestor rezultate în practica stomatologică.

Semnificaţie clinică: Această recenzie evidențiază importanța selectării unor metode adecvate de debridare

pentru a minimiza deteriorarea iatrogenă a restaurărilor dentare. Se recomandă utilizarea pulberilor de air-polishing cu abraziune redusă (eritritolul, glicina) pentru îndepărtarea biofilmului și a colorațiilor, contribuind astfel la menținerea unei suprafețe netede și a integrității marginale.

INTRODUCERE

Parodontita afectează o mare parte a populației adulte la nivel global. Instrumentarea subgingivală reprezintă o componentă fundamentală a terapiei parodontale cauzale, având ca scop reducerea inflamației tisulare prin îndepărtarea depozitelor dure și moi de pe suprafețele dentare. Terapia parodontală de susținere pe termen lung (Supportive Periodontal Therapy, SPT), care implică reintervenția în zonele active cu pungi parodontale reziduale, este esențială pentru controlul de durată al bolii.

Îngrijirea dentară de rutină pentru pacienții cu risc scăzut de boală parodontală presupune, de obicei, proceduri de detartraj și lustruire. Mulți stomatologi și igieniști dentari efectuează aceste proceduri în timpul dispensarizării pentru a îndepărta biofilmul, tartrul și colorațiile de pe suprafețele dentare. Deși aceste proceduri au, în timp, un impact redus asupra nivelului biofilmului, gradului de gingivită, adâncimii de sondare și calității vieții legate de sănătatea orală, acestea contribuie la detectarea vizuală a cariilor și la reducerea tartrului, în special când sunt practicate constant, de două ori pe an. Atât detartrajul și lustruirea de rutină, cât și debridarea parodontală efectuate în cadrul terapiei cauzale și a SPT utilizează frecvent instrumentarea ultrasonică și tehnica de air-polishing.

Instrumentarea ultrasonică (ultrasonic, US) ce folosește vibrații de înaltă frecvență pentru a disloca și elimina

biofilmul și tartrul este utilizată pe scară largă în timpul debridării parodontale datorită eficienței dovedite. Air-polishing, pe de altă parte, utilizează un jet de aer, apă și o pulbere fină pentru a îndepărta depozitele moi și colorațiile, metodă care a devenit populară datorită eficienței sale în îndepărtarea petelor și confortului sporit al pacientului. Airpolishing-ul oferă rezultate parodontale similare cu cele ale debridării manuale și ultrasonice, cu excepția zonelor dificil accesibile, cum ar fi furcațiile.

Sunt disponibile mai multe tipuri de pulberi pentru air-polishing, inclusiv bicarbonat de sodiu, carbonat de calciu, glicină și eritritol. Bicarbonatul de sodiu și carbonatul de calciu sunt foarte eficiente în îndepărtarea colorațiilor, însă sunt mai abrazive, cu risc de accentuare a rugozității suprafeței și deteriorare a restaurărilor dentare. Glicina și eritritolul, fiind mai puțin abrazive, sunt preferate pentru utilizarea subgingivală, fiind

mai blânde atât cu structurile dentare naturale, cât și cu restaurările.

Deși aceste tehnici de debridare sunt utilizate pe scară largă, datele clinice privind efectele adverse asupra restaurărilor dentare sunt limitate. Studiile de laborator sugerează că ambele metode pot crește rugozitatea suprafeței, cu posibile defecte marginale. Accentuarea rugozității favorizează acumularea biofilmului, crescând riscul apariției cariilor secundare și al bolilor parodontale. Defectele marginale, precum discontinuitățile și fisurile sau fracturile, constituie cauze frecvente ale reintervențiilor restaurative, generând costuri semnificative. De aceea, înțelegerea modului în care instrumentarea ultrasonică și air-polishing-ul afectează rugozitatea suprafeței și calitatea marginală a restaurărilor dentare este esențială. Recenzia de față analizează critic dovezile de laborator privind impactul acestor tehnici. Prin sintetizarea rezultatelor,

articolul își propune să ofere o perspectivă asupra riscurilor potențiale și să ghideze practica clinică în reducerea efectelor adverse.

MATERIAL ȘI METODE

Protocol - întrebare

Protocolul pentru această recenzie sistematică a fost înregistrat în Registrul Internațional al Revizuirilor Sistematice Prospective (PROSPERO, referință CRD42022355270), a respectat ghidul PRISMA (Preferred Reporting Items for Systematic Reviews and Meta-Analyses, PRISMA) și a abordat următoarea întrebare utilizând cadrul PICO (population, intervention, comparison, and outcome, PICO) - populație, procedură, comparație și impact:

„Pe eșantioane compuse din restaurări dentare sau biomateriale restaurative, cum sunt afectate rugozitatea suprafeței și/sau calitatea marginală prin utilizarea instrumentării ultrasonice și/sau a air-polishing-ului, comparativ cu lipsa unei proceduri de debridare sau de lustruire cu pastă?”

• Populație: restaurări dentare sau biomateriale restaurative in vitro

• Procedură: instrumentare ultrasonică și/sau air-polishing

• Comparație: absența unei proceduri de debridare sau de lustruire cu pastă

• Impact: rugozitatea suprafeței și/ sau calitatea marginală

Criterii de eligibilitate

Studiile au fost selectate pe baza stabilirii unor criterii de includere și excludere. Au fost acceptate studii cu raportări complete, fără restricții privind perioada sau limba de publicare.

– Criterii de includere:

• Studiu in vitro (de laborator)

• Utilizarea instrumentării ultraso-

nice și/sau air-polishing

• Date privind rugozitatea suprafeței și/sau calitatea marginală

• Eșantioane realizate din, sau conținând următoarele materiale: amalgam, aliaj de aur, ciment ionomer de sticlă, ciment ionomer de sticlă modificat cu rășină (RMGIC), compozit pe bază de rășină (RBC), porțelan-fuzionat-pe-metal (PFM), ceramică silicatată sau ceramică oxidică

• Disponibilitatea textului integral

– Criterii de excludere:

• Studiu in silico

• Studiu clinic

• Studiu pe animale

• Raport de caz

• Articol tip review

• Studiu privind condiționarea suprafeței intaglio

• Studiu care evaluează substanța dentară

• Studiu privind materialele ortodontice

• Studiu privind materialele implanturilor dentare

• Studiu privind protezele dentare detașabile

• Poster

• Articol disponibil doar sub formă de rezumat

Strategia de căutare

Cinci baze de date - Cochrane Library, OpenGrey (prin DANS), PubMed, Scopus,Web of Science - au fost consultate la data de 21 iunie 2023. Pentru a extinde investigarea, doi dintre autori (J.E. și T.A.) au examinat și listele de referințe ale studiilor care au îndeplinit criteriile de eligibilitate.

Procesul de selecție

După eliminarea duplicatelor, cei doi autori (J.E., L.A.) au analizat independent titlurile și rezumatele articolelor obținute în urma căutării electronice, comparându-le cu criteriile de eligibilitate și selectând articolele potențial relevante pentru recenzia

sistematică de față. Pe parcursul procesului, numele autorilor și revistele nu au fost anonimizate, fiind selectate studiile complete potențial relevante. Aceiași investigatori au evaluat independent fiecare raport de studiu în funcție de criteriile de eligibilitate. Studiile prezente în mai multe publicații au fost corelate între ele. Diferențele de opinie privind eligibilitatea studiilor au fost soluționate prin consultarea unui al treilea autor (F.E.), fiind consemnate motivele excluderii.

Colectarea datelor

Cei doi investigatori (J.E., T.A.) au extras independent date calitative și cantitative din studiile incluse, utilizând un fișier structurat și testat preliminar. În cazurile în care au existat evaluări neconcordante, un al treilea investigator (F.E.) a decis final.

Elemente de date

Datele au fost ordonate pentru variabilele esențiale, incluzând: biomaterialele evaluate, numărul și geometria eșantioanelor, metodologia de grupare, tipurile de dispozitive folosite pentru instrumentarea ultrasonică și/sau air-polishing cu pulberile aferente utilizate, setările operaționale ale dispozitivelor, tipul și durata aplicării instrumentării ultrasonice și/sau air-polishing, evaluările și efectele asupra rugozității suprafeței și ale calității marginale.

Evaluarea riscului de eroare sistematică (bias)

Cei doi investigatori (J.E., T.A.) au evaluat independent riscul de bias al studiilor incluse, utilizând RoBDEMAT. Ei au completat câte o fișă individuală de evaluare RoBDEMAT pentru fiecare studiu (Tabelul 1). Un al treilea investigator (F.E.) a soluționat neconcordanțele dintre evaluări.

REZULTATE

Studiile incluse

Fig. 1 ilustrează procesul de selecție și rezultatele studiilor, care s-a finalizat cu validarea și includerea a 42 de studii de laborator publicate între anii 1978 și 2022.

Caracteristicile studiilor incluse

– Specimene și biomateriale

Studiile au investigat o varietate de biomateriale dentare: PFM, zirconiu (ZrO₂), disilicat de litiu (LDS), material ceramic cu polimer (PICN), ceramică feldspatică cu structură fină (FSFC), aliaj de aur, amalgam, RMGIC, și compozite pe bază de rășină (RBC) incluzând variante convenționale, fluide și pe bază de siloran. Numărul de specimene evaluate în fiecare studiu a variat, dimensiunea eșantionului fiind de obicei între 25-100 probe, împărțite în subgrupuri. Formele de specimene utilizate frecvent

pentru a investiga efectele detartrajului ultrasonic și ale dispozitivelor de air-polishing au inclus coroane, discuri și restaurări de cls. a V-a.

– Metode de debridare

Diferite studii au utilizat o gamă variată de dispozitive ultrasonice, care în general funcționau la setări medii de putere, cu frecvențe între 25-30 kHz. Metodele de aplicare ale acestor dispozitive au variat, implicând unghiuri specifice (0°–15°) și durate între 10-120 sec.

Au fost, de asemenea, investigate diferite dispozitive de air-polishing, folosind pulberi precum bicarbonat de sodiu, glicină, eritritol și carbonat de calciu. Aceste dispozitive au funcționat la presiuni ale aerului între 2,5-4 bari, cu durate de aplicare cuprinse între 5-200 sec. și distanțe de lucru de 3–10 mm. Este de remarcat faptul că, în 35 dintre cele 42 de studii, procedura de debridare parodontală a fost efectuată manual, în timp ce în

celelalte șapte studii s-a folosit un dispozitiv mecanic. În majoritatea studiilor, debridarea a fost efectuată o singură dată; doar patru investigații au raportat debridarea repetată în cadrul sesiunilor de SPT.

– Metode de evaluare

Studiile au utilizat diverse metode pentru a evalua rugozitatea suprafeței și calitatea marginală a biomaterialelor dentare după detartraj ultrasonic și air-polishing. Rugozitatea suprafeței a fost frecvent evaluată prin tehnici precum profilometria de contact, microscopia electronică de scanare și microscopia de forță atomică. Evaluarea calității marginale a inclus microscopia stereoscopică și confocală cu scanare laser pentru a detecta spații, defecte sau infiltrații marginale.

Efectele asupra rugozității suprafeței

Rugozitatea suprafeței a fost evaluată în 37 dintre cele 42 de studii. Dintre acestea, 31 au raportat că instrumentarea ultrasonică a crescut rugozitatea suprafeței pentru multiple biomateriale. Materialele RBC și RMGIC s-au dovedit a fi deosebit de sensibile la modificări de rugozitate, RBC prezentând în general variații mai mici comparativ cu RMGIC.

Suprafețele din ZrO₂ și LDS au fost mai puțin afectate de debridarea parodontală în comparație cu alte biomateriale.

Tehnica de air-polishing, utilizând diferite pulberi precum carbonat de calciu, glicină și bicarbonat de sodiu, a accentuat de asemenea rugozitatea suprafeței.

Patru studii au arătat că utilizarea carbonatului de calciu și a bicarbonatului de sodiu a avut un efect mai dăunător asupra rugozității comparativ cu glicina sau eritritolul. În general, air-polishing a generat o rugozitate mai redusă decât detartrajul ultrasonic.

Tabelul 1: Rezultatele evaluării riscului de eroare sistematică (bias).

NOTĂ: Fiecare întrebare din cadrul instrumentului RoBDEMAT corespunzătoare celor patru domenii (D1, D2, D3 și D4) a fost

evaluată ca fiind fie „raportată suficient/ adecvată” (1), „raportată insuficient” (2), „neraportată/neadecvată” (3) sau „neaplicabilă” (4)

Figura 1: Diagrama PRISMA 2020 (Preferred Reporting Items for Systematic Reviews and MetaAnalyses) - ilustrează procesul de identificare și selecție a studiilor pentru revizuirea sistematică.

Șase studii au observat că diferitele metode de debridare parodontală investigate nu au influențat semnificativ rugozitatea anumitor materiale restaurative. Trei studii au demonstrat că lustruirea cu cupă de cauciuc și pastă, efectuată după instrumentare, poate reduce creșterea rugozității până la valori apropiate de cele inițiale. Un alt studiu a utilizat discuri abrazive de lustruire post-debridare, care au redus, de asemenea, rugozitatea suprafeței.

Studiile incluse au evaluat rugozitatea utilizând parametrul Ra, adesea alături de alte măsurători. Ra, sau rugozitatea medie, este cel mai utilizat parametru pentru cuantificarea texturii și a modificărilor de suprafață. Detartrajul ultrasonic și air-polishing au influențat semnificativ valorile Ra pentru diferite biomateriale restaurative. Astfel, RMGIC au fost deosebit de vulnerabile, valorile Ra crescând considerabil până la 2,52 μm. RBC au prezentat răspunsuri variabile - compozitele nanohibride au

arătat modificări minime (0,03–0,08 μm) față de cele hibride cu creșteri mai pronunțate, în special după air-polishing cu pulbere de carbonat de calciu (până la 0,93 μm).

În schimb, ceramica vitroasă și ZrO₂ au beneficiat de o rezistență superioară, menținând creșteri ale valorilor Ra sub 0,064 μm în toate tehnicile de debridare. FSFC și PICN au prezentat o rugozitate moderată, detartrajul ultrasonic provocând cele mai importante modificări. Dintre toate biomaterialele testate, amalgamul și actualităţi

RMGIC au fost cele mai afectate, cu creșteri ale valorilor Ra de până la 2,73 și respectiv 1,79 μm.

Efectele asupra calității marginale

Datele privind calitatea marginală au fost raportate în 9 dintre cele 42 de studii incluse în această recenzie. Dintre cele nouă studii, șapte au arătat că debridarea parodontală a avut un efect negativ asupra calității marginale. În două studii - unul care a evaluat exclusiv air-polishing și celălalt care a analizat utilizarea combinată a instrumentării ultrasonice cu air-polishing - nu s-au observat efecte adverse asupra calității marginale a restaurărilor din compozit pe bază de rășină (RBC).

Instrumentarea ultrasonică poate genera defecte marginale la nivelul restaurărilor dentare, coroanele PFM cu o margine ceramică îngustă fiind predispuse în mod special. Restaurările din RMGIC și amalgam s-au dovedit mai sensibile la efectele negative asupra calității marginale comparativ cu cele din RBC.

Studiile incluse au analizat calitatea marginală prin trei parametri principali:

• Integritatea marginală a fost evaluată prin clasificarea marginilor ca fiind continue, discontinue (cuantificate ca procent din lungimea totală a marginii) sau neevaluabile. Un alt studiu a investigat influența procedurilor de debridare asupra marginilor restaurărilor, observând formarea de șanțuri, fracturi sau spații, ca posibile rezultate.

• Lățimea spațiului marginal a fost măsurată în mai multe puncte de-a lungul marginilor ocluzale și gingivale. Valorile medii au fost calculate pentru a evalua adaptarea restaurărilor și pentru a determina eventualele efecte adverse ale debridării.

• Microinfiltrația a fost analizată prin evaluarea pătrunderii colorantului de-a lungul pereților ocluzali și gingivali, fiind clasificată în funcție de extinderea lui - inclusiv progresia către peretele axial sau dincolo de acesta - ca indicator al pierderii etanșeității marginale.

Evaluarea riscului de eroare sistematică (bias)

Tabelul 1 prezintă evaluările detaliate ale riscului de bias (RoBDEMAT) pentru studiile incluse. Problemele frecvent identificate au fost legate de justificarea dimensiunii eșantionului și de lipsa caracterului orb al studiului. Majoritatea studiilor au fost apreciate ca având rezultate bune în standardizarea procedurilor și în raportarea analizelor statistice. Totuși, numeroase studii au prezentat limitări legate de absența grupurilor de control adecvate și de lipsa randomizării.

DISCUŢII

Această recenzie sistematică a evaluat dovezile de laborator privind impactul instrumentării ultrasonice și air-polishing asupra rugozității de suprafață și calității marginale a

restaurărilor dentare. Rezultatele au arătat efecte semnificative asupra biomaterialelor restauratoare. În timp ce ceramicele de înaltă rezistență, precum disilicatul de litiu (LDS) și oxidul de zirconiu (ZrO₂), au demonstrat o rezistență crescută la modificările de suprafață, compozitele pe bază de rășină (RBC) și ionomerii de sticlă modificați cu rășină (RMGIC) s-au dovedit mai susceptibili la accentuarea rugozității. De asemenea, studiile incluse indică faptul că atât detartrajul ultrasonic, cât și air-polishing pot afecta negativ calitatea marginală, efectul variind în funcție de biomaterialul utilizat și de tehnica de debridare aplicată.

Impactul acestor metode asupra restaurărilor dentare este esențial, deoarece suprafețele rugoase favorizează acumularea biofilmului. Din cele 37 studii analizate, 31 au raportat o creștere semnificativă a rugozității de suprafață după debridare, în special în cazul materialelor RBC și RMGIC. În contrast, ceramicele de înaltă rezistență, precum ZrO₂ și LDS, au prezentat o mai mare rezistență la alterările de suprafață, datorită durității. Aceste diferențe reflectă variațiile proprietăților mecanice și ale microstructurii suprafețelor acestor biomateriale. Din perspectivă clinică, alegerea materialului restaurator ar trebui să țină cont de regimul de întreținere al pacientului. Mai mult, tehnicile mai puțin abrazive, cum ar fi air-polishing cu pulberi de glicină sau eritritol, ar trebui preferate pentru materialele mai sensibile. Aceste constatări subliniază importanța selecției individualizate a biomaterialelor și a protocoalelor de întreținere, pentru a preveni iatrogenia și a prelungi durata de viață a restaurărilor.

Calitatea marginală este crucială pentru durabilitatea și eficiența restaurărilor dentare. Deși această recenzie nu oferă dovezi incontestabile, rezultatele sugerează că atât

detartrajul ultrasonic, cât și airpolishing-ul pot afecta negativ integritatea marginală, în funcție de materialul restaurator și de metoda de debridare utilizată. Dovezile clinice susțin faptul că restaurările monolitice realizate din ceramici de înaltă rezistență, precum LDS și ZrO₂, sunt mai performante în prevenirea defectelor și fracturilor, comparativ cu ceramicele mai fragile sau restaurările stratificate. În plus, studiile de laborator au evidențiat că lățimea umărului restaurării influențează suscepti-

bilitatea acesteia la deteriorarecoroanele FSFC și restaurările PFM fiind mai predispuse la defecte la o lățime a umărului de 0,7 mm comparativ cu una de 1,5 mm. Din perspectivă clinică, aceste constatări accentuează necesitatea unei selecții atente a biomaterialelor și a evaluării impactului pe termen lung al debridării asupra calității marginale. Utilizarea air-polishing cu pulberi slab abrazive, precum glicina sau eritritolul, poate contribui la menținerea integrității marginale.

Analiza comparativă a detartrajului ultrasonic și a air-polishing arată că instrumentarea ultrasonică produce, în general, creșteri mai mari ale rugozității de suprafață și deteriorări marginale. Totuși, nici air-polishing nu este lipsit de efecte adverse, în special atunci când se utilizează pulberi abrazive precum bicarbonatul de sodiu sau trihidroxidul de aluminiu. Dovezile de laborator sugerează că aceste pulberi pot genera o rugozitate similară sau chiar mai mare decât cea rezultată după instrumentarea ultrasonică. Carbonatul de calciu, deși mai puțin abraziv decât bicarbonatul de sodiu, poate de asemenea, produce efecte negative semnificative asupra rugozității de suprafață. În schimb, pulberile de glicină și eritritol determină modificări superficiale minime, fiind astfel preferabile pentru menținerea integrității restaurărilor. Aceste rezultate indică faptul că ambele tehnici de debridare trebuie utilizate cu precauție în practică. Profesioniștii din domeniul stomatologic ar trebui să prioritizeze utilizarea pulberilor cu grad redus de abraziune și să adapteze alegerea instrumentelor și a tehnicilor în funcție de condițiile parodontale și restauratoare specifice, pentru a asigura o debridare eficientă, minimizând în același timp deteriorările.

Instrumentarea ultrasonică și air-polishing influențează rugozitatea de suprafață în principal prin abraziune mecanică, unde vibrațiile de înaltă frecvență sau jeturile de aer-pulbere induc uzură la nivel microscopic pe suprafața biomaterialelor. Detartrajul ultrasonic, prin energia concentrată și oscilațiile rapide, cauzează deplasări mai semnificative de material, generând o rugozitate mai mare - în special în cazul materialelor mai moi, precum RMGIC și RBC. În contrast, air-polishing, mai ales atunci când este realizat cu pulberi slab abrazive, determină o abraziune mai blândă

datorită forțelor de impact reduse, rezultând într-o deteriorare superficială minimă. Diferența principală constă în natura forțelor aplicate: instrumentarea ultrasonică transmite un impact mecanic mai concentrat și direct, în timp ce air-polishing cu pulberi fine distribuie forța pe o zonă mai largă, reducând agresiunile localizate.

Cele patru studii incluse în această recenzie, care au investigat lustruirea cu cupă de cauciuc și pastă după debridare, sugerează că această procedură poate contribui la reducerea rugozității de suprafață. Deși dovezile sunt limitate, includerea lustruirii post-debridare în protocoalele de igienizare pare o măsură prudentă pentru a atenua parțial efectele de rugozitate.

Impactul metodelor de debridare asupra țesuturilor dure și moi dentare merită, de asemenea, atenție, alături de efectele asupra restaurărilor. Studiile ex vivo efectuate pe mandibule porcine și dinți umani extrași au demonstrat că abraziunea cu pulberi slab abrazive produce leziuni epiteliale minime și modificări superficiale radiculare semnificativ mai reduse, comparativ cu alte tehnici de debridare. Aceste constatări susțin preferința pentru metodele mai puțin abrazive, care mențin integritatea atât a suprafețelor restauratoare, cât și a țesuturilor orale adiacente. Mai mult, astfel de studii subliniază valoarea modelelor in vitro în evaluarea efectelor tisulare ale diferitelor metode de debridare.

Recenzia de față prezintă o serie de limitări ce trebuie considerate. În primul rând, includerea exclusivă a studiilor in vitro, deși intenționată, limitează aplicabilitatea rezultatelor în practica clinică, din cauza absenței complexităților întâlnite în mediul real. În al doilea rând, lipsa uniformității în designul studiilor, tipurile de biomateriale și metodele de evaluare

a introdus o heterogenitate care afectează comparabilitatea rezultatelor. În al treilea rând, absența unor protocoale standardizate pentru instrumentarea ultrasonică și air-polishing a complicat interpretarea rezultatelor. În final, calitatea generală a studiilor incluse a fost variabilă, unele prezentând limitări metodologice semnificative.

Evaluările RoBDEMAT evidențiază domenii ce necesită îmbunătățiri în studiile viitoare. Pentru a crește validitatea și fiabilitatea rezultatelor, este esențială abordarea aspectelor legate de randomizare, justificarea dimensiunii eșantionului și caracterul orb al studiilor. O randomizare riguroasă și eșantioane dimensionate adecvat vor reduce erorile sistematice și vor îmbunătăți puterea statistică, în timp ce caracterul orb va limita subiectivitatea. Standardizarea condițiilor experimentale - cum ar fi setările instrumentelor ultraso-

nice și air-polishing - și includerea unor grupuri de control adecvate vor îmbunătăți comparabilitatea studiilor. Raportarea clară a procedurilor și analizelor statistice, conform ghidurilor RoBDEMAT, va spori transparența și reproductibilitatea. Respectarea acestor recomandări va conduce, în final, la obținerea unor date mai solide și mai relevante clinic.

Studiile de laborator oferă un mediu controlat pentru investigarea efectelor debridării parodontale asupra restaurărilor dentare, permițând explorarea de materiale și tehnici noi. Totuși, studiile clinice rămân esențiale pentru înțelegerea impactului acestor metode în condiții reale, oferind o imagine mai completă asupra apariției defectelor restaurărilor în timp. Prin urmare, studiile clinice care evaluează metodele de debridare parodontală ar trebui să raporteze și să compare frecvența și natura acestor defecte.

CONCLUZII

În limita constrângerilor metodologice, această revizuire sistematică a studiilor de laborator evidențiază cinci constatări principale:

• Impactul asupra rugozității de suprafață.

Majoritatea studiilor au raportat o creștere a rugozității de suprafață după instrumentarea ultrasonică și air-polishing, cu variații dependente de tipul biomaterialului. Ceramicele de înaltă rezistență, precum disilicatul de litiu (LDS) și oxidul de zirconiu (ZrO₂), s-au dovedit mai rezistente la modificările de suprafață.

• Impactul asupra calității marginale.

Atât detartrajul ultrasonic, cât și air-polishing au afectat negativ calitatea marginală, în special în cazul restaurărilor din RMGIC și PFM, gradul de degradare variind în funcție de biomaterialul utilizat și de metoda de debridare aplicată.

• Comparația metodelor de debridare.

Instrumentarea ultrasonică a produs, în general, o rugozitate de suprafață mai mare și o degradare marginală mai accentuată decât air-polishing, deși și acesta din urmă poate cauza modificări.

• Selecția pulberii.

Pulberile de glicină și eritritol au provocat modificări superficiale mai reduse comparativ cu bicarbonatul de sodiu și trihidroxidul de aluminiu, subliniind importanța alegerii corecte a tipului de pulbere.

• Limitări.

Această recenzie a fost limitată de includerea exclusivă a studiilor de laborator, de lipsa uniformității în designul experimental și de inconsistențele în raportarea rezultatelor, aspecte care restricționează generalizarea concluziilor clinice.

Recunoaștere: O parte din această lucrare a fost realizată în cadrul cerințelor pentru obținerea de către Jeronim Esati a titlului de Doctor of Dental Medicine la University of Basel. Jeronim Esati și Tarek Amran au contribuit în mod egal la această recenzie.

Conflict de interese: Autorii declară că nu au interese financiare care ar fi putut influența lucrarea prezentată în acest articol.

Disponibilitatea datelor: Datele care susțin concluziile acestui studiu sunt disponibile online în materialele suplimentare ale acestui articol, în secțiunea special dedicată.

Digital Technology Redefining Implant Therapies: Two Case Reports by Sundeep Rawal, DMD. Originally published in Compendium of Continuing Education in Dentistry 43 (1) January 2022. © 2022 AEGIS Publications, LLC. All rights reserved. Reprinted with permission of the publishers.

Tehnologia digitală redefinește terapiile implantare

⊲ PROSTHETICALLY DRIVEN PLANNING

Despre autor:

Sundeep Rawal, DMD

Private Practice, Merritt Island, Melbourne/ Suntree, Lake Nona, and Winter Park, Florida; Co-founder, Digital Dentistry Institute

Antrenați să obțină o anatomie precisă cu o tehnică manuală dibace, cei mai buni clinicieni au inclus logica substanțială și rațiunea în știință; cu toate acestea, crearea de proteze funcționale și naturale din punct de vedere estetic solicită în plus pentru culoare și formă vizuală. Deși va exista întotdeauna o nișă pentru

clinicienii superlativi care posedă această miriadă de talente, datorită aplicațiilor stomatologice digitale, tot mai mulți practicieni pot obține rezultate impecabile cu ajutorul tehnologiei sofisticate și, prin urmare, mai mulți pacienți pot primi rezultate optime și predictibile. În niciun caz multitudinea de sisteme software care concu-

rează pentru atenția clinicianului în practica stomatologică modernă nu compromite proiectarea protetică a zâmbetului. De fapt, actualmente planul de tratament începe cu analize faciale extrem de cuprinzătoare, transformând fotografii multi-unghiulare în rezultate generate de calculator care iau în considerare linia mediană, liniile labiale și chiar distanța dintre ochi și gură. În plus față de trasarea unor ghidaje foarte specifice în planul restaurator pentru clinician, software-ul contemporan oferă pacientului o previzualizare a rezultatului, care adesea poate fi principalul factor motivațional pentru acceptarea tratamentului.

PLASAREA

GHIDATĂ

A IMPLANTULUI

După aprobarea de către pacient a zâmbetului propus, aceleași date pot fi importate în software-ul de planificare a implanturilor pentru a le determina poziționarea. Acest lucru este benefic deoarece planificarea digitală a cazului pentru topografia implanturilor este cea mai eficientă atunci când planificarea este ghidată protetic, permițând astfel angularea anticipată a implanturilor pentru a ancora protezele cu precizie maximă. Clinicianul implantolog încorporează apoi fișierele corespunzătoare din software-ul de planificare în modalitatea ghidată selectată.

În prezent, se utilizează trei tipuri de plasare ghidată a implanturilor: chirurgia ghidată static cu un șablon rășinic tipărit sau unul metalic sinterizat cu laser, aplicațiile de navigație bazate pe camere dinamice și plasarea implantului asistată de robot. Aceasta din urmă combină avantajele unei limite fizice asociate cu șablonul tipărit și flexibilitatea schimbă-

rilor interoperative asociate cu navigația bazată pe camere, favorizând apariția unei modalități care oferă posibilitatea dobândirii unor rezultate funcționale și estetice extrem de predictibile.

Chirurgia robotică a fost implementată în mai multe discipline pentru un tratament medical sofisticat, nu numai pentru a asigura precizie și rezultate predictibile, ci și pentru a reduce timpul de recuperare pentru pacient. Plasarea ghidată a implantului a evoluat de la dezvoltarea șabloanelor fizice statice încă din 2004 (viabile în practică și astăzi, deși cu mai puțină flexibilitate decât opțiunile actuale de navigație și robotizare) la navigația cu camera dinamică introdusă un deceniu mai târziu și care a influențat semnificativ arta preciziei.

Potrivit lui Block și Emery, pionierii utilizării navigației dinamice, controlul adâncimii și al angulației implanturilor au devenit mai precise, chirurgii pot evita în mod mai predictibil nervul alveolar inferior, iar mobilizarea lamboului poate fi redusă la minim pentru a promova utilizarea unei proceduri mai puțin invazive pentru pacient. Utilizarea navigației ajută la colaborarea dintre clinicienii chirurgi și restauratori în combinarea planului virtual cu orchestrarea tratamentului, permițând astfel atingerea unui nivel ridicat de rezultate specifice pacientului. Navigația dinamică a fost adoptată pe scară largă deoarece este un flux de lucru flexibil, eficient din punct de vedere al timpului și al costurilor; cu toate acestea, după cum indică Block și Emery, clinicianul trebuie să treacă printr-o curbă de învățare pentru a dobândi competențe și va trebui să ia în considerare pregătirea și simularea.

Ghidajul chirurgical robotic a fost perfecționat continuu de la introducerea sa în 2017. Întrucât este încă la început, vor fi necesare numeroase studii multicentrice bazate pe dovezi pentru a produce rezultatele superioare anticipate ale datelor. Ghidarea robotică a introdus termenul „haptic” în vocabularul chirurgical. Haptic se referă la ghidarea fizică în plus față de ghidarea vizuală și auditivă în timpul intervenției chirurgicale cu implant; programul software al sistemului robotizat utilizează o scanare CBCT a pacientului și permite planificarea 3D a poziționării ideale a implantului pe baza disponibilității osoase, a încărcăturii biomecanice și a proiectării protezelor definitive. Asistența robotică oferă apoi chirurgului ghidarea fizică a frezelor în poziția, angulația și adâncimea dorită. Când orientarea coincide cu cea planificată, nu există rezistență robotică (haptică); dacă frezele deviază, robotul va constrânge axul instrumentului spre orientarea planificată. Haptic se referă la rezistența vibratorie pe care chirurgul o experimentează la senzațiile normale de frezare sau implantare.

Deși ghidajele statice, de navigație și robotizate oferă asistență digitală valoroasă în obținerea de rezultate estetice și funcționale, viitorul ghidajului robotic promite să atingă cel mai înalt grad de precizie. Șabloanele statice prezintă riscul de fracturare și pot împiedica vizibilitatea clinicianului la locul osteotomiei; în plus, este imposibilă ajustarea planului propriu-zis în timpul procedurii chirurgicale și efectuarea intervenției ghidate. Navigația intraoperatorie permite clinicianului să facă ajustări și oferă informații vizuale în timp real printr-un ecran, deși tinde să existe o aderență mai rigidă la planul digital.

În plus, procedura se efectuează în esență cu mâna liberă, fără granițe fizice. Îndrumarea haptică urmărește în prezent să ofere cea mai bună aderență la plan, așa cum el se conturează în mintea clinicienilor. Folosind un flux de lucru în întregime digital, următoarele studii de caz demonstrează folosirea ghidajului robotic cu abateri reduse dramatic de la plan la execuție.

CAZUL (1)

O pacientă de vârstă mijlocie s-a prezentat cu o dentiție maxilară afectată de leziuni traumatice (fig. 1). În mod obișnuit, tratamentul ar fi planificat prin consolidarea mai multor implanturi adiacente pentru o rezistență mecanică optimă și o distribuție optimă a încărcăturii. Totuși, în acest caz, pacienta a solicitat în mod specific câte un implant independent pentru fiecare dinte (locațiile 13 până la 22), întrucât în antecedente avusese experiențe neplăcute cu punțile dentare și își dorea cu tărie să poată menține restaurările într-o manieră cât mai apropiată de dinții naturali, individuali, fără a avea nevoie de protocoale de întreținere adjuvante din cauza restaurărilor conjuncte. Deși această opțiune nu se recomandă de obicei din cauza provocărilor pe care le implică în executarea terapiei din perspectivă estetică, practicianul a fost de acord cu această abordare pentru a satisface dorințele pacientei. Astfel, tratamentul a fost planificat digital în mod corespunzător.

S-a creat un flux de lucru complet digital, permițând un tratament în colaborare cu chirurgul oral. Faza de diagnostic a inclus fotografierea intraorală prolifică și scanarea CBCT, cu focalizare pe afișarea papilelor interdentare adecvată vârstei pacientei, care

este un element estetic cheie necesar pentru planificarea virtuală a tratamentului.

Planul de tratament complet digital a fost ghidat protetic (fig. 2), clinicianul ținând cont de urgența critică de a plasa optim implanturile, la o distanță ideală de 3 mm, menținând în același timp cea mai mare parte a crestei osoase interproximale și respectând cu strictețe designul planificat, bazat pe ghidurile estetice elaborate de către Tarnow și colab. pentru zona estetică anterioară a maxilarului. Echipa clinică a ales să folosească ghidajul robotic ce permite markerilor fiduciari să verifice acuratețea plasării, a angulației și a adâncimii.

În pregătirea pentru procedura chirurgicală, s-au folosit grefe osoase moderate și augmentarea țesuturilor moi pentru a crea parametri orali ideali pentru găzduirea implanturilor. În zona estetică frontală a maxilarului s-au plasat cinci implanturi folosindu-se ghidajul robot haptic (fig. 3, 4). Procedura s-a realizat în totalitate fără lambouri, contribuind la minimizarea traumei pentru pacientă. Având control deplin asupra robotului, chirurgul a ghidat brațul către pozițiile implantare planificate, în timp ce inspecta tipul de țesut moale la emergență, cu observarea calității osului și monitorizând respectarea planului cu verificarea acurateței intraoperatorii a sistemului robotizat. Actualizările audio și vizuale în timp real au confirmat că parametrii clinici au fost atinși cu succes.

Scanările CBCT postoperatorii au indicat un nivel ridicat de precizie prin respectarea plasării planificate a implanturilor, cu compromis minim asupra țesutului moale din jur (fig. 5). Pentru den-

tistul restaurator, oferirea acestei topografii extrem de precise a implanturilor în os de calitate ideală a contribuit la asigurarea unei fundații robuste, fixată în siguranță pentru protezele definitive. În perioada de vindecare de 4 luni, pacienta a purtat o proteză provizorie mobilizabilă. Cinci coroane ceramice frezate individuale, fixate cu șurub au finalizat tratamentul complet digital utilizat pentru restaurarea pacientei fără complicații. După cum se arată în fotografiile realizate la livrarea protezelor finale, restaurarea planificată și executată integral digital a obținut un rezultat complet tehnologic, cu aspect natural, iar pacienta a fost extrem de mulțumită (fig. 6).

CAZUL (2)

Un pacient s-a prezentat cu displazie ectodermică clasică, anomalie congenitală cauzată de o genă unică sau o pereche de gene anormale. Erau evidente malformația tipică a crestei alveolare, deficiența osoasă și absența mugurilor dentari (fig. 7). Reabilitarea maxilo-facială a adulților cu displazie ectodermică este realizată cu cel mai mare succes prin protocoale terapeutice care utilizează implanturi osteointegrate și protetica ceramică avansată pentru a oferi zâmbete estetice. Planul de tratament pentru acest pacient a urmărit implementarea unei proteze definitive pe arcada maxilară construită pe patru implanturi - două în zona estetică anterioară și două implanturi posterioare înclinate, plasate adiacent peretelui anterior al sinusului (fig. 8).

A fost creat un design digital complet integrat, focalizat pe rezultatele dorite de pacient de a avea un zâmbet estetic, cu formă și funcție ideală, cât mai aproape

CAZUL 1 - Figurile:

1. Situația inițială la prezentare.

2. Plan de tratament digital ghidat protetic.

3, 4. Plasarea implanturilor folosind ghidajul robot haptic. Pe măsură ce se pregătesc osteotomiile, brațul robotic blochează piesa de mână în poziția spațială corectă atât în direcția axială cât și în privința angulației, iar pe măsură ce clinicianul practică osteotomia la adâncimea adecvată, brațul împiedică frezarea ulterioară spre apical.

Figurile:

5. Analiza CBCT postoperatorie arată plasarea corectă a celor cinci implanturi anterioare.

6. Rezultatul final la livrarea coroanelor ceramice frezate, fixate cu șuruburi.

#13
#21
#11
#12
#22

de o dentiție naturală. Designul zâmbetului creat cu software-ul de proiectare și imaginile de scanare a suprafeței au fost îmbinate prin folosirea fișierelor STL și CBCT, pentru a crea un plan chirurgical virtual, iar apoi a fost fabricată o restaurare provizorie fixă prefabricată fixată cu șurub - polimetil metacrilat prelucrat pe un dispozitiv de frezare cu cinci axe care urma să funcționeze ca bază pentru rezultatul dorit (fig. 9, 10). Natura hipoplastică a țesutului și deformarea congenitală au necesitat o precizie strictă în plasarea implanturilor. S-a implicat ghidajul robotic pentru a se asigura că se pot face ajustări în timp real dacă osul sau țesutul moale contraindica planul de tratament.

Predictibilitatea a guvernat fiecare aspect al acestui plan. Înainte de faza chirurgicală a tratamentului, echipa clinică a analizat banca de analize statistice provenită de la 40 pacienți tratați anterior, indicând deviații coronare, apicale și angulare cu folosirea ghidajului robotic. Fiecare luare în calcul a augmentării tisulare, a remodelării osoase, plasării implantului și ajustării protezei a creat „intervale de încredere” pentru succesul acestui caz. Cunoscând predictibilitatea tehnologiei, chirurgul poate efectua extracția dinților necesari și poate plasa cele patru implanturi. Restaurarea provizorie a fost deja pregătită cu unul dintre bonturile anterioare încorporate pentru a facilita alinierea cu implanturile restante (fig. 11). În cele din urmă, pacientul a fost restaurat atât la nivel maxilar, cât și mandibular cu câte patru implanturi pe fiecare arcadă pentru a crea un zâmbet estetic și restaurări funcționale care se anticipau a fi de lungă durată (fig. 12).

DISCUŢII

Furnizarea stomatologiei implantare și protetice precise și artistice a cunoscut o schimbare de paradigmă datorită tehnologiei. În ultimul deceniu s-au realizat progrese semnificative în onorarea mandatului formulat de Dr. Per-Ingvar Bränemark: succesul reconstrucției implantare constă în precizia plasării implanturilor în sine. Debutul planificării virtuale a avansat semnificativ procedurile chirurgicale cu mână liberă, dar conceptul de chirurgie ghidată, care a condus la navigația cu camere și, în cele din urmă, la ghidarea robotică, a îmbunătățit procesele utilizate pentru plasarea precisă a implanturilor. De asemenea, a redus semnificativ riscul de afectare a nervilor și a dinților vecini. În plus, plasarea implantului cu navigație și fără lambou optimizează poziția implantului în raport cu cerințele protetice prin angajarea unui volum osos mai mare, ceea ce duce la o stabilitate primară pentru încărcare imediată.

Achiziția de date digitale a permis clinicienilor să învețe mai mult ca oricând despre fiziologia orală a pacienților lor. Scanerele intraorale au eliminat aproape total amprentele convenționale și modelele turnate, servind drept bază de încredere pentru fișiere STL precise, care, atunci când se combină cu imagistica CBCT, oferă practicienilor un volum de informații diagnostice pentru a planifica chiar și cel mai complex caz. Evaluarea calității osoase și integritatea țesuturilor cu perspectivă digitală contribuie în mare măsură la veridicitatea planului.

Chirurgia implantară cu cea mai inteligentă planificare și mai precisă execuție va necesita în continuare un finisaj protetic

care funcționează biomecanic și realizează o estetică naturală ideală individuală. Dacă există un aspect al tratamentului protetic care ar putea găsi provocări în era digitală, acesta ar consta în munca artistică minuțioasă a ceramistului, cu modelarea și pictarea dinților pentru a imita natura; cu toate acestea, odată cu perfecționarea continuă a protezelor fabricate digital, atât provizorii, cât și definitive, se pare că a fost atinsă egalitatea cu restaurările realizate manual.

Mulți pacienți aleg astăzi restaurări dentare cu sprijin implantar deoarece, împreună cu gratificarea aproape instantă, oferă securitate psihologică, încredere în sine sporită, capacitate masticatorie mai sigură, alături de o fonetică și o estetică îmbunătățită. Atât frezarea, cât și tipărirea protezelor au evoluat și tehnologia actuală include software care poate crea simultan substructura, fațetarea și replicarea țesuturilor moi într-un singur proces. Aceste proteze fabricate, dacă se bazează pe o înregistrare clinică precisă și pe o digitizare atentă de laborator, sunt capabile să ofere un zâmbet natural și, cel mai probabil, fără să necesite ajustări clinice.

CONCLUZII

Deși atât înțelepciunea și logica umană, cât și viziunea artistică în profesia dentară vor fi necesare întotdeauna, progresele extraordinare dobândite în tehnologia digitală au îmbunătățit considerabil precizia și rezistența restauratoare. Utilizarea software-ului pentru întregul flux de lucru terapeutic, de la achiziția datelor până la livrarea protezelor, economisește timp substanțial, făcând mai disponibilă îngrijirea de calitate și lărgind spectrul de pacienți care ar putea beneficia de obținerea unui zâmbet sănătos.

CAZUL 2 - Figurile:

7. Situația inițială la prezentare.

8. Planul de tratament digital cu poziționarea implantului planificată pentru a optimiza distribuția pentru protezele fixe cu sprijin complet implantar, care urmează poziția ideală pentru emergența restauratoare și proiectarea protezei.

9. Pozițiile de implantare propuse prechirurgical în scanarea digitală cu corpurile de scanare inserate pentru a permite fabricarea înainte de intervenția chirurgicală a restaurării provizorii fixate cu șuruburi.

10. Fișiere STL maxilare și mandibulare ale scanărilor prechirurgicale cu pozițiile propuse ale implanturilor încorporate în fișierele din software-ul de proiectare, permițând proiectarea și frezarea protezelor provizorii.

11. Restaurarea provizorie pregătită cu un bont anterior pentru a facilita alinierea implanturilor.

12. Restaurările finale.

⊲ COMPLEX CASE CASE REPORT ⊲

Interdisciplinary Management of a Complex Esthetic Dilemma by David P. Mathews, DDS; and Vincent G. Kokich, DDS, MSD†. Originally published in Compendium of Continuing Education in Dentistry 42(1) January 2021. ©2021 AEGIS Publications, LLC. All rights reserved. Reprinted with permission of the publishers.

Managementul interdisciplinar al unei dileme estetice complexe

Acest articol descrie un caz complex, cu dileme estetice, ce a urmat un plan de tratament coordonat între endodont, parodontolog, ortodont și protetician.

Despre autori:

David P. Mathews, DDS Specialist in Periodontics, Gig Harbor, Washington

Vincent G. Kokich, DDS, MSD † Professor, Department of Orthodontics, School of Dentistry, University of Washington, Seattle, Washington † in memoriam

Recunoaștere

Rodger A. Lawton, DMD, prosthodontist for his help with the restorative dentistry in this case.

Adesea, pentru a maximiza eficacitatea stomatologiei restauratoare, este necesară o abordare interdisciplinară și coordonată mai ales în cazuri complexe ce necesită satisfacerea necesităților legate de funcție și de dorința unui aspect atractiv.

PREZENTARE DE CAZ

O pacientă în vârstă de 45 ani s-a prezentat acuzând, în principal, aspectul inestetic și dezechilibrat al segmentului frontal superior (fig. 1).

Caninul poziționat în spațiul incisivului lateral stâng maxilar absent congenital împreună cu linia înaltă

a zâmbetului agravau deficitul estetic. În plus, era nemulțumită de aspectul și culoarea coroanelor existente (fig. 2). Din antecedente, s-au reținut multiple tratamente endodontice precum și o intervenție chirurgicală apicală în încercarea de menținere a frontalilor superiori (fig. 3).

Simpla refacere a coroanelor frontale maxilare, cu prognostic rezervat din cauza terapiei radiculare compromise, a pierderii osului de susținere și a mobilității dentare consecutive dar și lipsa unei viziuni pentru corectarea dezechilibrului cervical și al aspectului înclinat ocluzal au determinat clinicianul generalist să îndrume pacienta către un specialist protetician.

După examinarea și consultația inițială, acesta a solicitat acordul pacientei pentru prezentarea cazului în cadrul grupului de studiu multidisciplinar Northwest Network for Dental Excellence, ale cărui opinii pertinente ar putea contribui la o rezolvare mai predictibilă a dilemelor complexe implicate.

DIAGNOSTICUL

INTERDISCIPLINAR ȘI

PLANIFICAREA TRATAMENTULUI

Înregistrările pacientei au fost prezentate grupului de studiu interdisciplinar, în cadrul căruia fiecare specialist a abordat propriul aspect din planul de tratament, împreună cu prognosticul pentru variantele terapeutice propuse.

Figurile:

1. Aspectul inițial, cu linia înaltă a zâmbetului, coroane inestetice și margini gingivale sever înclinate.

2. Substituția canină a incisivului lateral stâng absent congenital accentua dezechilibrul zâmbetului.

3. Se obiectivează leziuni apicale, pierderea osoasă avansată și structura dentară compromisă.

Endodontul a considerat că refacerea tratamentelor radiculare ar fi cel puțin problematică, deoarece terapia endodontică fusese instituită repetat, incluzând proceduri chirurgicale apicale. Accesul la canalele centralilor necesita îndepărtarea reconstituirilor corono-radiculare, și, cel mai probabil se impunea reintervenție chirurgicală apicală la nivelul tuturor incisivilor. De asemenea, proteticianul a subliniat compromisurile majore structurale și parodontale ale incisivilor, chiar dacă reintervenția endodontică ar avea succes.

Parodontologul a accentuat dificultatea reducerii adâncimii pungilor parodontale care măsurau 7-8mm și a mobilității avansate, precum și a ameliorării planului ocluzal prin

intermediul intervențiilor chirurgicale osoase. Ortodontul a propus erupția forțată a 1.2., 1.1., 2.1. și 2.3. care ar rezolva mai multe probleme. În primul rând, planul ocluzal înclinat putea fi îmbunătățit semnificativ prin erupția caninului, ce ar permite, de asemenea, obținerea unui aspect mai apropiat de cel al unui incisiv lateral. Apoi, erupția incisivilor ar putea îmbunătăți nivelul osului crestal și ar facilita un plan de tratament implantar. În urma consultărilor, s-a generat un rezumat al tuturor posibilităților de tratament și o secvențiere terapeutică pentru fiecare variantă.

PLANUL DE TRATAMENT

În cadrul discuțiilor interdisciplinare, s-a dezbătut accentuat posibilita-

Figurile:

4. Îndepărtarea coroanelor 1.2.-2.1. pentru a pregăti restaurările provizorii înainte de inițierea erupției ortodontice.

5. Fixarea restaurărilor provizorii; se observă că la nivelul caninului 2.3. restaurarea era considerabil în infraocluzie pentru a permite erupția maximă.

6. După 5 luni de terapie ortodontică, s-a finalizat erupția segmentului 1.2.-2.3. cu câte 5 mm.

7. Pe Rx efectuată la finalul erupției ortodontice se remarcă deplasarea coronară semnificativă a osului crestal corespunzător 2.1.-2.3.

8. Incisivii extrași în momentul chirurgiei implantare.

9. Alveolele postextracționale 1.1. și 2.1. Se remarcă o regenerare osoasă crestală semnificativă în alveolele integre.

10. Implanturile corespunzătoare 1.1. și 2.1. cu bonturi de vindecare de 4 mm și grefa formată dintr-un amestec de particule osoase și sulfat de calciu. Alveola 1.2. a fost augmentată cu un amestec de substitut osos mineral și de sulfat de calciu și acoperit cu o membrană resorbabilă.

11. Imediat postoperator, ortodontul a plasat provizoriu un arc de sârmă temporar fix pentru substituția segmentului 1.2.-2.1.

12. Vederea ocluzală a arcului fix temporar.

Figurile:

13. La 5 luni după operație, se evidențiază grosimea țesutului vestibular de implanturi și conservarea crestei în poziția dentară 1.2.

14. Restaurarea provizorie cu contururi ideale pentru a facilita modelarea țesuturilor și dezvoltarea papilelor.

15, 16. După 3 luni de modelare a țesuturilor, utilizarea contururilor și a presiunii adecvate a permis dezvoltarea papilelor și a marginii gingivale (fig. 15); erau evidente grosimea ideală și sănătatea țesutului (fig. 16).

17. La doi ani după tratament se observă îmbunătățirea continuă a țesutului moale, cu înălțimea ideală a papilelor.

18. Aspect la patru ani după tratament.

19. Rx la 4 ani după tratament. Se remarcă osul crestal ideal între corpurile implantare adiacente în pofida platformelor nemedializate.

20. Aspectul estetic al zâmbetului la 4 ani postoperator.

SECVENŢELE TERAPEUTICE

Tratamentul a debutat cu detartraj și planare radiculară minuțioasă, proceduri realizate de către parodontolog; s-au furnizat instrucțiuni riguroase pentru igiena orală la domiciliu, împreună cu stabilirea ședințelor trimestriale de dispensarizare. Pacienta a revenit la protetician care a îndepărtat coroanele existente și a scurtat preparațiile subiacente cu scopul de a simplifica sarcina de reducere a provizoriilor pe măsura erupției dinților (fig. 4). Restaurările provizorii au fost cimentate cu material permanent pentru a se asigura că nu se vor mobiliza sub acțiunea forțelor extruzive. La nivelul caninului poziționat în locul lateralului absent congenital s-a fabricat o restaurare provizorie în infraocluzie pentru a permite extrudarea considerabilă a acestuia (fig. 5).

nivelul alveolei incisivului lateral drept a dictat inserarea imediată a implanturilor în locațiile celor doi centrali, urmată de augmentarea periimplantară cu amestec de particule osoase și sulfat de calciu, și fixarea bonturilor de vindecare (fig. 10). După chiuretarea țesutului de granulație, alveola lateralului 1.2. a fost augmentată cu substitut mineral osos combinat cu sulfat de calciu și membrană resorbabilă (fig. 10). Pacienta a revenit la ortodont care a fixat un arc de sârmă temporar pentru restaurarea segmentului dentar 1.2.-2.2. (fig. 11, 12). Vindecarea a decurs fără evenimente notabile.

tea de salvare a incisivilor, în pofida problemelor endodontice, a adâncimilor pungilor parodontale de 7-8 mm și a mobilității. Prognosticul limitat de retratamentul endodontic, chirurgia parodontală, mobilitate și, la final, un rezultat estetic de compromis au anulat varianta menținerii acestor dinți.

Soluția optimă propusă - și acceptată ulterior de către pacientă - a constat în extrudarea incisivilor pentru a îmbunătăți nivelul osului în vederea inserării de implanturi, și a caninului pentru îmbunătățirea aspectului și a gradului sever de înclinare a marginilor gingivale anterioare. La finalizarea procedurii de extrudare ortodontică, incisivii se puteau extrage cu inserarea de implanturi fie corespunzătoare 1.2. și 2.1., fie în pozițiile celor doi centrali - caz în care se impunea restaurarea prin punte cu extensie (cantilever) pentru substituirea 1.2.

S-a inițiat terapia ortodontică de erupție forțată a celor trei incisivi și a caninului, cu deplasări programate de aproximativ 0,5-1 mm pe lună pentru o conformare optimă a crestei osoase alveolare. La fiecare vizită, ortodontul a redus din lungimea restaurărilor provizorii în vederea extrudării ulterioare. Tratamentul ortodontic s-a finalizat pe parcursul a cinci luni, iar dinții au fost stabilizați cu un arc dreptunghiular (fig. 6, 7).

A urmat etapa extracțiilor și a inserării de implanturi. Topografia preliminară a implanturilor presupunea două variante: fie inserarea în pozițiile dentare 1.2. și 2.1., fie în locațiile 1.1. și 2.1. S-au practicat extracțiile incisivilor și s-au evaluat alveolele (fig. 8, 9). Una dintre preocupările premergătoare extrudării ortodontice a vizat leziunile apicale existente și influența asupra necesității de augmentare osoasă. Defectul periapical extins de la

La cinci luni postoperator, evaluarea clinică a confirmat succesul grefării, cu conformarea unui contur labial satisfăcător la nivelul tuturor locațiilor augmentate (fig. 13), iar proteticianul a început etapa de restaurare provizorie concepută să modeleze țesuturile moi subiacente (fig. 14). Controlul efectuat după 3 luni a obiectivat grosimi și niveluri gingivale satisfăcătoare pentru fabricarea restaurării finale și, în pofida plasării adiacente a implanturilor fără platforme medializate, papilele prezentau înălțimi aproape complete (fig. 15, 16). Mai mult, papila dintre implantul din poziția 1.1. și ponticul din locația 1.2. era ideală, fenotipul gros al pacientei contribuind la acest rezultat optim.

Verificarea efectuată după doi ani a demonstrat un aspect sănătos al conturului gingival (fig. 17), iar la patru ani după finalizarea cazului, era evidentă o îmbunătățire semnificativă a aspectului înclinat al marginilor gingivale (acuza principală a pacientei), notându-se stabilitatea țesutului moale și osos (fig. 18-20). Rezolvarea cu succes a acestui caz a demonstrat eficacitatea unei abordări interdisciplinare coordonate atunci când se tratează un pacient cu probleme estetice complexe.

PRACTICAL APPLICATION ⊲

A Clinical Guide for Treatment of Dental Cervical Lesions Through a Restorative, Surgical, or Combination Approach: A Proposed Evidence-Based Algorithm by Neel B. Bhatavadekar, BDS, MS, MPH; Amit S. Gharpure, BDS, MSD; and Ricardo Kern, BDS, DClinDent, MSc. Originally published in Compendium of Continuing Education in Dentistry 43(1) January 2022. © 2022 AEGIS Publications, LLC. All rights reserved. Reprinted with permission of the publishers.

Un algoritm clinic evidencebased pentru tratamentul leziunilor cervicale

DENTAL CERVICAL LESIONS

Adesea, leziunile cervicale sunt direct restaurate fără a se acorda atenție

gradului de expunere a cementului/smalțului, nivelului osos interproximal și

rezultatului estetic dorit. Acest articol oferă un ghid clinic cuprinzător folosind o abordare restaurativă, chirurgicală sau combinată pentru diagnosticul și gestionarea leziunilor cervicale atât carioase, cât și necarioase.

Despre autori:

Neel B. Bhatavadekar, BDS, MS, MPH

Adjunct Faculty, University of North Carolina at Chapel Hill, North Carolina; Private Practice, Clarus Dental Specialties, Pune, India; Diplomate, American Board of Periodontology

Amit S. Gharpure, BDS, MSD

Affiliate Instructor, Periodontics, University of Washington School of Dentistry, Seattle, Washington; Diplomate, American Board of Periodontology; Fellow, Royal College of Dentists©

Ricardo Kern,BDS, DClinDent, MSc

Private Practice, Curitiba, Brazil

Atât leziunile cervicale carioase, cât și cele necarioase implică aspectul estetic deficitar, hipersensibilitatea dentinară și acumularea plăcii bacteriene din cauza anatomiei defectului, ceea ce îngreunează igiena orală. În plus, aceste leziuni pot inhiba integritatea structurală și vitalitatea pulpei, generând provocări în restaurarea cu succes. Deși controversate, există un consens potrivit căruia aceste leziuni se datorează unor condiții multifactoriale.

Managementul leziunilor cervicale se bazează în mare măsură pe un

diagnostic precis obținut prin evaluarea factorilor restauratori și parodontali identificați din istoricul medical și dentar al pacientului și prin examinarea clinică amănunțită. Deși pentru tratarea leziunilor cervicale necarioase s-au propus mai multe ghiduri practice, după cunoștințele autorilor, studiile publicate anterior nu includ un arbore de decizie cuprinzător, bazat pe dovezi. Abordarea restauratoare, chirurgicală sau combinată (restorative, surgical, or combination, RSC) oferă un algoritm terapeutic bazat

Figura: 1. Algoritmul restaurator, chirurgical și combinat (RSC) pentru managementul leziunilor cervicale carioase (CCL) și al leziunilor cervicale necarioase (NCCL).

pe dovezi pentru a secvenționa și gestiona atât leziunile cervicale carioase (carious cervical lesions, CCL) cât și necarioase (noncarious cervical lesions, NCCL)

CLASIFICAREA LEZIUNILOR

CERVICALE PE BAZA ETIOLOGIEI

Primul pas pentru o terapie reușită constă în identificarea precoce a agenților etiologici prin evaluarea istoricului medical și dentar al pacientului și printr-un examen clinic cuprinzător în care sunt verificate eroziunea, abraziunea și abfracția.

Eroziunea reprezintă pierderea suprafeței dentare cauzată de acțiunea chimică, iar aceasta poate fi de origine endogenă (datorită refluxului acid gastroesofagian) sau exogenă (cauzată de consumul de citrice, băuturi carbogazoase și alte fructe foarte acide). Diagnosticul formei precoce este dificil, deoarece are puține semne și simptome. Prin urmare, aspectul clinic este cea mai importantă caracteristică pentru diagnosticare. Prezentarea tipică implică un smalț neted, lucios, uneori mat, cu absența perikymatei și a smalțului intact de-a lungul marginii gingivale.

Abraziunea este rezultatul fricțiunii dintre dinte și un agent exogen. Aceste leziuni apar adesea din cauza periajului efectuat în exces, a utilizării necorespunzătoare a aței dentare și/sau a scobitorilor, și a obiceiurilor orale dăunătoare. De obicei apar sub forma unor cavități nedureroase cu suprafețe lustruite, dar se pot asocia și cu durere. Smalțul rezistă în mod diferit față de dentină, distrugerea sa urmărind traseul făcut de periuța de dinți și, în cele din urmă, provocând o leziune caracteristică în formă de „V”. Ocazional, abraziunea masticatorie poate apărea atât

vestibular cât și oral, când alimentele mai aspre (de ex. granola, nuciferele, tărâțele, etc.) sunt împinse spre aceste suprafețe de către limbă, buze și obraji în timpul masticației.

Abfracția se produce atunci când încărcarea excesivă ciclică, nonaxială a dinților duce la flectarea cuspizilor și concentrarea stresului în regiunea cervicală vulnerabilă a dinților. Se crede apoi că un astfel de stres contribuie direct sau indirect la pierderea substanței dentare cervicale. Cu toate acestea, leziunile produse prin abfracție au fost mult timp controversate, existând puține dovezi experimentale; cea mai mare parte a literaturii provine în principal din studiile de analiză cu utilizarea elementului finit.

În mod frecvent în etiologia leziunilor suprafeței dentare (atât CCL, cât și NCCL) pot fi implicate mai mult de două mecanisme. Prin urmare, clinicienii trebuie să fie conștienți de etiologia multifactorială a leziunilor cervicale, astfel încât să poată planifica în mod adecvat tratamentul.

OPŢIUNI DE TRATAMENT

Opțiunile terapeutice pentru leziunile cervicale sunt rezumate după cum urmează:

Gestionarea etiologiei este primul pas în tratamentul leziunilor cervicale. Leziunile erozive de etiologie endogenă, cum ar fi refluxul acid gastroesofagian, necesită un tratament medical; pentru cele cauzate de o sursă exogenă, se recomandă modificarea dietei și instrucțiuni de igienă orală. Leziunile cauzate de abraziune necesită schimbarea tehnicii de periaj și instrucțiuni de igienă orală. Ajustarea ocluzală poate ajuta în leziunile de abfracție, dar asocierea lor este foarte controversată. Leziunile CCL necesită controlul plăcii, modificarea die -

tei și instrucțiuni de igienă orală pentru prevenirea și pentru oprirea progresiei ulterioare.

Restaurările cu diverse materiale, de la cimenturile ionomer de sticlă și compozite până la cimenturi ionomer de sticlă modificate cu rășină au fost intens studiate. Nu există însă dovezi suficiente pentru a recomanda vreun material specific pentru utilizarea de rutină în restaurarea zonelor dentare cervicale. Totuși, se pare că adeziunea este mai reușită la smalț, decât la dentină și cement. Astfel, tratamentul restaurator pare a fi mai eficient în cazul leziunilor limitate la coroanele anatomice, implicând în principal smalțul și dentina coronară.

Grefele de țesut conjunctiv autogen (connective tissue grafts, CTG) de la nivelul cavității orale au fost utilizate cu succes pentru a obține acoperirea radiculară în gestionarea recesiei gingivale. Au fost propuse și comparate tehnici diferite pentru recoltarea grefei și inciziile locației donatoare, toate oferind rezultate previzibile pe termen lung. S-au propus mai multe explicații pentru beneficiile utilizării unei CTG cu un lambou avansat coronar în tratamentul leziunilor cervicale. Prezența CTG sub lambou poate preveni colapsul acestuia în interiorul spațiului gol creat de anatomia leziunilor cervicale, oferă suport adecvat pentru lambou și totodată sporește stabilitatea. În plus, adăugarea unei CTG poate crește lățimea țesutului keratinizat și volumul țesuturilor moi. Astfel, CTG oferă o opțiune bună de tratament pentru tratarea leziunilor cervicale cu afectarea suprafeței radiculare (cement și/sau dentină).

Abordarea combinată de restaurare și CTG se recomandă în cazul leziunilor cervicale care implică deopotrivă coroana anatomică și rădăcina (smalț, cement și/sau den-

CAZUL

Figurile:

1

2. NCCL care implică suprafața radiculară a dinților nr. 34-35 fără implicarea coroanei.

3. A fost urmat algoritmul RSC pentru a determina planul de tratament optim pentru restaurarea leziunii din fig. 2, prin utilizarea unui lambou tunelizat avansat coronar cu o grefă CTG recoltată din palat.

4. CTG cu un lambou tunelizat avansat coronar, plasată în dreptul dinților nr. 35-34 pentru a obține acoperirea radiculară.

5. Rezultatul final după 6 săptămâni de vindecare care arată acoperirea completă a rădăcinilor dinților 34-35.

tină). În mod frecvent, se utilizează procedurile restauratoare ca tratament unic. Există mai multe probleme tehnice în refacerea unor astfel de zone, cum ar fi dificultatea accesului și izolarea câmpului, caracteristicile microstructurale variabile ale smalțului și dentinei, nepotrivirea substratului din perspectiva adeziunii și concentrarea stresului biomecanic. Dispunerea anatomică a țesuturilor moi și dure în această locație îngreunează obținerea unei etanșări marginale perfecte și pot afecta succesul pe termen lung al restaurărilor cervicale. Mai mult, plasarea restaurărilor subgingivale are ca rezultat sângerarea marginală, pierderea atașamentului și recesiunea gingivală cauzate de o cantitate tot mai mare de biofilm bacterian și de modificări ale compoziției sale. În studiile controlate

randomizate publicate anterior, s-a demonstrat că o abordare combinată cu restaurare și CTG are rezultate mai bune decât restaurările singure. Prin urmare, leziunile cervicale cu implicarea rădăcinii și coroanei ar beneficia de un management combinat restaurator și chirurgical parodontal.

ALGORITMUL TERAPEUTIC PENTRU O ABORDARE RSC

1. Managementul etiologiei

Primul pas al secvențierii în algoritmul RSC constă în gestionarea etiologiei (fig. 1) prin consultație medicală, modificarea dietei, instrucțiuni de igienă orală, modificarea tehnicii de periaj dentar și ajustarea ocluzală după cum este necesar. Odată cu discutarea unui plan de manage -

ment al agenților etiologici, se poate încerca restaurarea țesuturilor dure și moi.

2. Identificarea anatomiei defectului

Următorul pas presupune determinarea extinderii leziunii (fig. 1) prin localizarea joncțiunii smalț-cement (cementoenamel junction, CEJ) a dintelui. În cazurile în care CEJ nu este vizibilă clinic, se poate utiliza o estimare bazată pe cunoașterea măsurătorilor anatomice ale dinților. După identificarea CEJ, leziunea este clasificată în „doar coronară”, „doar radiculară” și „defect combinat”. Leziunea cervicală localizată doar la nivel coronar se limitează la coroanele anatomice, implică smalțul și/sau dentina coronară a dintelui și este situată coronar față de

CAZUL 2

Figurile:

6. O leziune NCCL combinată care afectează atât coroana, cât și porțiunea radiculară a dinților nr. 21 până la 25.

7. A fost urmat algoritmul RSC pentru a determina planul optim de tratament pentru restaurarea leziunii din fig. 6, care a implicat mai întâi o grefă CTG cu un lambou avansat coronar până la CEJ, urmată de restaurări din compozit pentru restaurarea smalțului pierdut.

8. Rezultatul final după 8 săptămâni de vindecare care arată acoperirea radiculară până la CEJ și restaurări compozite pentru porțiunea coronară (de smalț) a leziunii.

CEJ. Leziunea cervicală radiculară implică cementul și/sau dentina radiculară și este situată apical față de CEJ. Defectul combinat se extinde peste CEJ implicând atât coroana, cât și rădăcina expusă și afectează smalțul, cementul și/sau dentina. În cazul dinților cariați, se utilizează dimensiunea anticipată a defectului după îndepărtarea cariilor pentru a clasifica localizarea, ca fiind exclusiv coronară, doar radiculară sau combinată.

3.

Evaluarea nivelului osos și a profilului țesuturilor moi

În această etapă se face o evaluare a țesuturilor moi, a nivelului osos radiografic și o predicție a gradului de acoperire radiculară (fig. 1). Examinarea țesuturilor moi include evaluarea fenotipului gingival,

determinarea lățimii țesutului cheratinizat și a adâncimii vestibulului. Regiunile cu fenotip gros și cu o lățime de țesut cheratinizat mai mare de 2 mm s-au dovedit a avea indicatori mai buni de sănătate, estetică și confort pentru pacient. În schimb, în zonele cu fenotip subțire și lățime inadecvată a țesutului keratinizat, îmbunătățirea fenotipului prin grefarea țesuturilor moi poate fi luată în considerare pentru a îmbunătăți stabilitatea parodontală, în special în cazurile care necesită restaurări.

Astfel, evaluarea țesuturilor moi este importantă pentru a determina dacă grefarea este sau nu necesară. Pentru predicția acoperirii radiculare, absența pierderii osoase interdentare cu umplerea completă a papilelor reprezintă un bun indicator pentru obținerea unei acoperiri radiculare complete în defectele cervicale exclusiv radiculare. În schimb, dacă există pierdere osoasă interdentară și atrofie papilară, predictibilitatea pentru acoperirea completă a rădăcinii este redusă. Astfel, identificarea nivelului osos interdentar și a umplerii papilelor este importantă în estimarea nivelului de acoperire radiculară care trebuie obținut cu o CTG.

4. Selectarea planului de tratament

După ce s-a finalizat evaluarea extinderii leziunii cervicale, a anatomiei țesuturilor moi și predictibilitatea acoperirii radiculare, se selectează un plan de tratament adecvat (fig. 1). Leziunile cervicale exclusiv coronare care implică smalțul și/sau dentina coronară pot fi tratate numai cu terapie restauratoare. Pentru a obține un rezultat mai previzibil pe termen lung poate fi indicată mai întâi o grefă de țesut moale, dacă regiunea prezintă un fenotip subțire, lățime inadecvată a țesutului keratinizat și vestibul puțin adânc. În cazul leziunilor

limitate la suprafața radiculară (cement și/sau dentina radiculară), care sunt în mod obișnuit asociate cu recesie gingivală, pot fi indicate numai proceduri chirurgicale mucogingivale, cu condiția să nu existe pierderi de os interdentar, iar predictibilitatea pentru acoperirea completă a rădăcinii să fie ridicată. Cu toate acestea, în cazurile în care există pierdere de os interdentar, acoperirea completă a rădăcinii nu este posibilă. Astfel de defecte sunt tratate ca un defect combinat de coroană și rădăcină și impun tratament restaurator și chirurgical. Când leziunile cervicale includ atât coroana cât și rădăcina, există pierdere de smalț, cement și/sau dentină. Tratamentul ideal al unei astfel de leziuni ar trebui să implice o abordare combinată restaurativă și chirurgicală.

5. Secvențierea tratamentului restaurator și chirurgical combinat

În cazul leziunilor care necesită atât o corecție restaurativă, cât și o corecție chirurgicală, trebuie încercată mai întâi o abordare chirurgicală, iar restaurarea poate fi finalizată după ce a avut loc vindecarea completă (fig. 1). Obiectivul intervenției chirurgicale constă în poziționarea marginii gingivale cât mai aproape de CEJ. A existat o oarecare dezbatere cu privire la faptul dacă procedurile restauratoare ar trebui realizate înainte de procedurile chirurgicale în cazul NCCL.

Cu toate acestea, rezultatele chirurgicale depind de mai mulți factori și au o predictibiltate mai redusă decât cele ale terapiei restauratoare. Efectuând mai întâi o intervenție chirurgicală, rezultatul final devine mai previzibil deoarece restaurarea poate fi ajustată pentru a trata porțiunea coronară a leziunii și segmentul radicular

care nu a dobândit acoperire. Dacă mai întâi se încearcă restaurarea, iar rezultatul chirurgical nu obține acoperirea radiculară anticipată, este posibil să fie necesară refacerea restaurării. În plus, utilizarea unei CTG sporește grosimea țesuturilor moi și zona de țesut keratinizat. Un astfel de fenotip gingival gros este mai favorabil pentru a rezista traumatismelor accidentale cauzate de plasarea clemelor pentru diga de cauciuc, la utilizarea frezelor de mare viteză de-a lungul marginilor în timpul preparațiilor dentare și la lustruirea restaurării sau compactarea șnurului de retracție în timpul tratamentului restaurator. În schimb, terapia restauratoare realizată înainte de intervenția chirurgicală mucogingivală poate oferi avantaje precum acces și vizibilitate mai bună și control mai mare asupra profilului de emergență, însă riscurile implicate depășesc beneficiile oferite.

Algoritmul RSC utilizat în managementul a două cazuri diferite cu leziuni cervicale este prezentat în fig. 2-5, respectiv fig. 6-8.

CONCLUZII

Pentru identificarea etiologiei leziunilor cervicale dentare sunt necesare un istoric medical și stomatologic amănunțit și un examen clinic. Mai mult, în cazul acestor leziuni evaluarea extinderii leziunii (smalț, cement și/sau dentina) și anatomia țesuturilor moi joacă un rol esențial în determinarea planului de tratament. În plus, o leziune cervicală combinată care implică atât porțiunea coronară, cât și segmentul radicular poate fi abordată cel mai bine printr-o terapie combinată, inițiată cu o grefă de țesut conjunctiv, urmată apoi de o restaurare. Astfel, abordarea RSC oferă un instrument util în managementul leziunilor cervicale atât carioase, cât și necarioase.

Turn static files into dynamic content formats.

Create a flipbook
Issuu converts static files into: digital portfolios, online yearbooks, online catalogs, digital photo albums and more. Sign up and create your flipbook.