Actualități Stomatologice nr. 103

Page 1


Un concept clinic orientat spre viitor:

www.aegisdentalnetwork.com

FONDATORI

Prof. Dr. Adi A. GARFUNKEL | Prof. Dr. D. Walter COHEN

PREȘEDINTE ONORIFIC

Prof. Dr. Nicolae GĂNUȚĂ

Decan-Emerit Facultatea de Medicină Dentară, București

Membru al Academiei de Științe Medicale

EDITOR ȘEF

Prof. Dr. Anca Silvia DUMITRIU

Medic primar Parodontologie, Doctor în Științe Medicale

Șef Disciplină Parodontologie, Prodecan, Facultatea de Medicină Dentară, Universitatea de Medicină și Farmacie Carol Davila, București

Vicepreședinte „Societatea Română de Parodontologie” European Federation of Periodontology Delegate

EDITOR ȘTIINȚIFIC

Societatea de Parodontologie din România membru al Federației Europene de Parodontologie

Președinte de Onoare:

Prof. Univ. Dr. Horia Traian Dumitriu membru titular Academia de Științe Medicale

COLEGIUL ȘTIINȚIFIC INTERNAȚIONAL

Prof. Dr. Louis F. ROSE

Profesor Clinic de Parodontologie

Universitatea Pennsylvania & New York, SUA

Profesor de Medicină și Chirurgie, Colegiul Medical, Universitatea Drexel, SUA

Prof. Dr. Markus B. BLATZ

Editor in Chief Compendium USA

Prof. Dr. Meyer Fitoussi, Franța

Prof. Dr. Michael Glick, Past-Editor-in-Chief JADA, SUA

Dr. Doron Haim, Israel

Prof. Dr. Harold W. Preiskel, Anglia

Prof. Dr. André P. Saadoun, Franța

COLEGIUL ȘTIINȚIFIC NAȚIONAL

Conf. Dr. Lidia Boboc

Prof. Dr. Emanuel Bratu

Dr. Alexandru Brezoescu

Prof. Dr. Dorin Borzea

Lector Univ. Dr. Lucian Chirilă

Prof. Dr. M. V. Constantinescu

Prof. Dr. Bogdan Dimitriu

Prof. Dr. Horia Dimitriu

Prof. Dr. Norina Forna

Membru corespondent Academia de Științe Medicale

Prof. Dr. Rodica Luca

Prof. Dr. Andrei Iliescu, Membru titular Academia Științe Medicale

Prof. Dr. Augustin T. Mihai

Prof. Dr. Alexandru Monea

Lector Univ. Dr. Ion Nicolescu

Prof. Dr. Ion Pătrașcu

Conf. Dr. Stana Păunică

Prof. Dr. Dragoș Stanciu

Prof. Dr. Mircea Surpățeanu

Prof. Dr. Șerban Țovaru

Prof. Dr. Constantin Vârlan

Asist. Univ. Dr. Anca Vereanu

ECHIPA EDITORIALĂ

EDITOR CONSULTANT

Dr. Tiberiu Gh. Silaghi medic primar

EDITOR EXECUTIV

Dr. Bianca G. Zaharia medic specialist

EDITOR ASOCIAT

Dr. Ana-Maria Herța medic specialist

TRADUCERE, REDACTARE

Lector Univ. Blanka Petcu

DESIGN

Concept grafic, DTP & Prepress Cătălin Cristescu

ART GROUP INT TIPAR

ABONAMENT

inregistrare@actualitatistomatologice.ro www.dentalnews.ro/gdpr

DISTRIBUȚIE

Poșta Română - TP nr. 109/C/3345/2020

MARKETING office@dentalnews.ro 0726 164 381 INFO www.dentalnews.ro/EMC EMC

Dental News, Manager financiar Ec. Lili Viorica Stoica

DEZVOLTARE WEB

Liviu Dincă www.webdin.ro

www.dentalnews.ro

ISSN: 1583-6010

DIGITAL DENTAL SOLUTIONS

Initial stability measuring system

Intraoral and desktop scanners

3D printers and materials

Surgical solutions

Guided surgery and immediate loading

Dental unit

Intraoral scanners and radiology solutions

Occlusal analysis system

Surgical solutions

Dental cameras

Nr. 103 / sept 2024

Cuprins

Conţinutul materialelor publicitare şi al articolelor promoţionale aparţine firmelor producătoare importatoare sau distribuitoare ale produselor respective.

EMC Publicație creditată de Colegiul Medicilor Dentiști din România. Detalii pe www.dentalnews.ro/EMC

BUSINESS OF DENTISTRY ⊲

MARKETING, SALES, DELIVERY

Regândirea “vânzărilor” pentru creșterea profiturilor și beneficiul pacienților

ADOM ⊲

DENTAL OFFICE MANAGERS

8

Sisteme și protocoale pentru inventariere în cabinete și clinici stomatologice: controlul costurilor prin lecții învățate în timp 14

CMSR ⊲

COLEGIUL MEDICILOR STOMATOLOGI

DIN ROMÂNIA: UPDATE

Proiecte de modificare și completare a Regulamentului EMC; grup tehnic pentru reglementarea publicității în stomatologie; regulile prin care un medic stomatolog dintr-un stat terț poate profesa în România

SPECIAL REPORT ⊲

DIGITAL IMAGING / SURGICAL PLANNING

Eliminarea incertitudinii: fluxul de lucru complet digital în stomatologia implantologică

16

EDITORIAL ⊲

EDIȚIE ANUALĂ DEDICATĂ IMPLANTOLOGIEI

6

CONTINUING EDUCATION ⊲

GRAFTLESS IMPLANT SOLUTIONS

22

Implantologia fără grefare pentru arcade maxilare foarte atrofiate: un concept clinic orientat spre viitor

REVIEW ⊲

INFECTION CONTROL

Prevenirea și controlul infecțiilor în îngrijirea sănătății orale: practici de bază

EMS

GUIDED BIOFILM THERAPY

GBT în prevenția și terapia nonchirurgicală a afecțiunilor peri-implantare

CLINICAL TECHNIQUE ⊲

IMMEDIATE IMPLANT PROVISIONALIZATION

44

50

O tehnică simplă pentru restaurări provizorii imediate precise și estetice: aripioare anti-rotație de tip “uragan” 54

CASE REPORT ⊲

AUTOTRANSPLANTATION

60

Autotransplantarea germenului dentar după 24 luni: raport de caz

RĂSPUNSURILE CORECTE la articolul de Educație Continuă publicat în ediția anterioară Analgezicele în sarcină și alăptare - practici de medicație sigură: 1d, 2b, 3d, 4a, 5a, 6b, 7c, 8a, 9d, 10c.

EDITORIAL ⊲

Prof. Anca Silvia Dumitriu

Editor Șef

Actualități Stomatologice

Utilizarea osului extra-oral, facial a devenit un concept popular în implantologie, ca alternativă la procedurile extinse de grefare în cazurile cu arcade maxilare foarte atrofiate, dar și ca parte a stomatologiei minim-invazive, cândva considerată doar „în tendințe”. Articolul de Educație Continuă al acestei ediții de septembrie, tradițional dedicată implantologiei, evaluează raționamentul pentru soluțiile fără grefe în terapia implantară, precum și datele ce susțin utilizarea diferitelor protocoale ca alternative la abordarea convențională și la tratamentele regenerative complexe, într-o recenzie minuțios detaliată.

Soluții „fără grefare”

Ediție anuală dedicată implantologiei

Astfel, modificarea dimensiunilor (implanturi scurte; cu diametru redus) sau a orientării în angajarea osoasă (implanturi anatomice non-alveolare și înclinate, paranazale, pterigoidiene, zigomatice) a oferit modalități noi de realizare a osteointegrării implanturilor pentru susținerea protezelor dentare în cazurile de atrofie extremă. În plus, recent reactualizatele implanturi subperiostale individualizate au devenit o opțiune atractivă pentru gestionarea pacienților nu doar cu atrofii complexe, dar și cu istoric de traumatisme și ablație/rezecție tumorală, unde tratamentele convenționale sau fără grefe pot să nu fie fezabile.

Contribuția decisivă în sprijinul acestor modalități de abordare a reabilitărilor cu implanturi o are dezvoltarea continuă a tehnologiilor de imagistică diagnostică și imprimare 3D. Studiile considerate în cadrul acestei recenzii indică un grad ridicat de succes în utilizarea lor. Limitările inerente fiecăreia dintre opțiunile prezentate, precum și complicațiile uni-

ce obligă însă la o selecție atentă în timpul planificării și al inserării pentru a limita riscurile.

„Deoarece aceste soluții fără grefe ocolesc morbiditatea locală și a locațiilor secundare, reduc timpul de tratament și pot fi aliniate cu protocoale de încărcare imediată, ele oferă beneficii selectate pentru reabilitările cu implanturi. Atunci când stomatologia cu implanturi convenționale își atinge limitele, soluțiile personalizate concepute digital pot permite o extensie inovatoare a liniilor de tratament și pot oferi o strategie pentru reabilitarea dentară suportată de implanturi în viitor.” – este concluzia autorilor la care adaug doar obligativitatea documentării teoretice și a însușirii temeinice a cunoștințelor prin cursuri dedicate.

Putem obține succes în stomatologia modernă și cu mai puțin care, în multe cazuri precum în cele amintite, înseamnă mai mult.

Cu prietenie, Anca Silvia Dumitriu

Implantology Full Day Conference & Party

25 octombrie 2024, Bucharest

Reimagine “Sales” to Increase Profits and Benefit Patients by Rushi Trivedi, MS; and Saahil Trivedi, DDS. Originally published in Compendium of Continuing Education in Dentistry 44(3) March 2023. © 2023 AEGIS Publications, LLC. All rights reserved. Reprinted with permission of the publishers.

Regândirea „vânzărilor” pentru creșterea pro turilor și bene ciul pacienților

⊲ MARKETING, SALES, DELIVERY

Despre autori:

RushiTrivedi,MS

Senior Seminar Speaker, MGE

Management Experts; Former Chief

Executive O cer, Preferred Dental Care, New York, New York

SaahilTrivedi,DDS

Chief Executive O cer, Preferred Dental Care, New York, New York

În orice afacere, profitabilitatea este esențială. Există două modalități de a crește profitabilitatea. Una constă în reducerea cheltuielilor pentru a economisi bani, iar cealaltă este reprezentată de creșterea veniturilor. Deși controlul cheltuielilor și o strategie financiară adecvată sunt extrem de importante, potențialul lor de a crește profitabilitatea unui cabinet stomatologic este limitat. Orice creștere suplimentară a profitabilității trebuie să provină dintr-o creștere a veniturilor.

Creșterea profitabilității în stomatologie implică trei părți distincte ale afacerii: atragerea pacienților,

acceptarea tratamentului și furnizarea serviciilor stomatologice. Acestea pot fi simplificate în marketing, vânzări și, respectiv, livrare de servicii.

Când profitabilitatea unui cabinet este insuficientă, atenția se îndreaptă adesea fie către marketing, fie către livrare. De obicei, praxisurile stomatologice cresc cheltuielile pentru marketing în încercarea de a atrage mai mulți pacienți, crezând că acest lucru va contribui la creșterea profitabilității. Sau, un cabinet poate extinde gama de proceduri clinice pe care le oferă, sperând că acest lucru va crește profitul.

Între timp, vânzările, care, așa cum se menționa mai sus, se corelează cu acceptarea tratamentului, reprezintă în general un termen evitat în praxisul stomatologic. Totuși, scopul vânzărilor este pur și simplu acela de a determina pacienții să accepte tratamentele de care au nevoie pentru a-și îmbunătăți sănătatea dentară și funcția generală, în loc să accepte doar ceea ce cred că își doresc sau ceea ce acoperă asigurarea lor. Vânzările pătrund în toate aspectele vieții. Orice interacțiune în care se caută un acord necesită abilități de vânzare. O mamă care își convinge copilul să bea lapte sau să mănânce fructe (necesar) în loc de suc sau dulciuri (dorit) poate fi considerată o formă de vânzare. Mama trebuie să fie capabilă să „vândă” copilului ideile sale despre sănătate, pentru binele acestuia.

CONCENTRAREA

PE VÂNZĂRI

Pentru a crește profitabilitatea, un praxis stomatologic ar trebui să se concentreze pe vânzări. Dar de ce nu pe marketing sau pe livrare?

Marketingul funcționează ca un comutator; prin activarea comutatorului (adică prin cheltuirea banilor pe marketingul potrivit), numărul de apeluri și de potențiali pacienți va începe să crească. Marketingul este ușor de controlat. Totuși, modul de folosire a rezultatelor marketingului de către cabinetul stomatologic este ceea ce crește cu adevărat profitabilitatea. Indiferent de numărul pacienților noi (sau al celor existenți), dacă praxisul nu reușește să-i convingă să accepte tratamentul, cheltuie bani degeaba pe marketing.

Furnizarea stomatologiei de calitate este o condiție de bază pentru succesul unui cabinet stomatologic. Dar, dincolo de oferirea unei stomatologii generale de înaltă calitate,

din punct de vedere al profitabilității, livrarea trebuie să fie secundară acceptării tratamentului (adică vânzării). Autorii se referă la livrarea de stomatologie dincolo de competența și abilitățile de bază ale stomatologiei generale. Un dentist poate deține cele mai noi și mai avansate echipamente (cum ar fi laserele sau imprimantele 3D) sau poate fi certificat și instruit pentru a oferi servicii stomatologice specializate (cum ar fi implanturile sau procedurile cosmetice majore), dar dacă pacienții nu acceptă aceste tratamente, atunci capacitatea crescută de a oferi aceste servicii, de fapt, nu ajută pacienții.

Desigur, creșterea abilităților stomatologice reprezintă cheia succesului durabil în cadrul unui praxis stomatologic, dar îmbunătățirea ratei de acceptare a cazurilor trebuie să fie prioritară pentru a valorifica abilitățile de livrare. Astfel, creșterea profitului necesită o mai bună capacitate de a convinge pacienții să accepte tratamentele stomatologice. Nu pot fi ignorate nici marketingul, nici livrarea, însă acceptarea tratamentului trebuie să fie punctul central.

DEFINIREA VÂNZĂRILOR

Pentru a reitera, vânzările reprezintă pur și simplu obținerea acceptării din partea pacientului a tratamentului necesar. Un „vânzător” eficient face ca pacienții să își dorească ceea ce dentistul știe că ei au nevoie. Rezultatul final al oricărei vânzări este un acord. În cazul stomatologiei, acest lucru înseamnă că pacientul este de acord să plătească și să urmeze tratamentul ideal pentru sănătatea sa dentară și sistemică.

Deși banii sunt un element cheie al vânzărilor, iar tratamentul trebuie plătit, vânzările în stomato-

logie nu sunt despre bani. Accentul trebuie pus pe faptul că pacientul primește tratamentul de care are nevoie – nu cel pe care asigurarea îl acoperă, ci tratamentul care va ajuta la restabilirea sănătății și funcționalității orale a pacientului. „Vânzările” sunt o parte esențială a procesului de însănătoșire a pacienților.

Îmbunătățirea capacității de a vinde nu înseamnă achiziționarea de echipamente noi sau modernizarea spațiului de lucru, ci mai degrabă o pregătire adecvată. Această pregătire ar trebui să fie primită nu doar de medic, ci de întreaga echipă.

Mulți medici joacă două roluri foarte distincte în cadrul unui cabinet: stomatolog și proprietar al praxisului. Stomatologul se străduiește să ajute pacienții să primească tratamentul care le va fi de folos. Proprietarul afacerii se concentrează pe solvabilitate și pe profit, necesități care le permit practicienilor să câștige un trai, să sprijine și să își dezvolte echipa și să rămână în afaceri pentru a continua să ajute pacienții. Rolul vânzărilor combină ambele responsabilități. Vânzările îi fac pe stomatologi să fie mai buni proprietari de afaceri, dar și stomatologi mai buni, deoarece rolul lor de dentist nu se oprește la planificarea tratamentului. Abilitățile stomatologice sunt valoroase în măsura în care sunt folosite pentru a oferi tratamentele care vor îmbunătăți cu adevărat sănătatea și calitatea vieții pacientului.

În esență, vânzările înseamnă comunicare, o abilitate care poate fi învățată și îmbunătățită. Comunicarea este cea care le permite stomatologilor să transmită pacienților punctele lor de vedere asupra importanței și urgenței tratamentului stomatologic necesar. Crearea acestei înțelegeri reprezintă obiectivul vânzărilor.

IMPACTUL VÂNZĂRILOR

Instruirea unei echipe în comunicare poate aduce beneficii semnificative profitabilității unui cabinet, așa cum este ilustrat în exemplul din Tabelul 1, unde două cabinete cheltuiesc câte 10.000 de dolari pe „marketing pentru pacienți noi”. Acest marketing generează 100 de apeluri către ambele cabinete din partea posibililor pacienți noi. Cabinetul 1 deține o recepționeră neinstruită care răspunde la apeluri și reușește să convertească doar 20% dintre apeluri, rezultând în 20 de programări pentru pacienții noi. Cabinetul 2 are o recepționeră instruită, abilă în a converti apelurile potențialilor pacienți în programări ferme, obținând un succes de 50% și 50 de programări.

Pacienții noi se prezintă apoi în fiecare cabinet. În acest exemplu, planurile de tratament sunt aceleași, în valoare medie de 5.000 de dolari. Cabinetul 1 nu deține un medic și o echipă instruită, prin urmare acceptarea tratamentului este în concordanță cu ceea ce acoperă asigurarea și nu mult mai mult, aproximativ 1.500 de dolari per pacient (n.r. în SUA). În schimb, cabinetul 2 are un medic și o echipă complet instruită în a obține acceptarea din partea pacientului a tratamentului necesar, iar majoritatea acestor pacienți acceptă tratamentul, indiferent de limitările asigurării. Praxisul obține aproximativ 4.000 de dolari pe tratament livrat per pacient.

În acest exemplu, echipa neinstruită a transformat 10.000 de dolari de marketing în încasări de 30.000 de dolari, în timp ce echipa instruită a transformat aceeași sumă cheltuită pe marketing în încasări de 200.000 de dolari.

Problema echipei neinstruite nu este marketingul sau furnizarea tratamentului stomatologic. Chiar dacă ar investi mai mult în mar-

keting, raportul lor dintre încasări și cheltuieli de marketing nu s-ar schimba. Dacă și-ar îmbunătăți capacitatea de a furniza tratamente, profitabilitatea lor ar rămâne neschimbată, deoarece pacienții nu acceptă tratamentul necesar. În schimb, cabinetul instruit în comunicare și vânzări a colectat de peste cinci ori mai mult decât cabinetul neinstruit. De asemenea, trebuie menționat că a ajutat mai mulți pacienți să primească tratamentul stomatologic de care aveau nevoie.

BENEFICIILE INSTRUIRII

O echipă bine instruită poate duce la o eficiență mai mare, o experiență îmbunătățită la locul de muncă și, cel mai important, la pacienți mai sănătoși și mai mulțumiți. Abilitatea de a vinde depinde de competența în comunicare, iar vânzările înseamnă mult mai mult decât simpla acceptare a tratamentului. Instruirea în comunicare și vânzări (adică obținerea acordului din partea pacienților) poate ajuta în multe feluri un praxis somatologic. Poate îmbunătăți ratele de conversie a potențialilor pacienți noi (determinarea unui potențial pacient nou să se programeze și să se prezinte la o consultație). Poate îmbunătăți eficiența programărilor, deoarece convingerea unui pacient să fie de acord și să se prezinte la o

Tabelul 1

programare necesită adesea „vânzarea” importanței acesteia și timpul medicului. De asemenea, implică convingerea pacienților care sună pentru anularea/reprogramarea ședinței să se prezinte totuși la ora rezervată în programul medicului sau al igienistului.

Alte beneficii ale instruirii corespunzătoare includ: consolidarea departamentului de igienă (pacienții trebuie convinși de importanța îngrijirii preventive și a examinării constante); îmbunătățirea abilităților de a convinge pacienții să plătească pentru tratamentul lor și de a colecta soldurile restante pentru tratamentele deja efectuate; învățarea modului corect de a întâmpina pacienții la recepție, ceea ce ajută la stabilirea unui ton pozitiv în experiența pacientului; și îmbunătățirea abilităților asistenților stomatologici de a susține recomandările terapeutice ale dentistului.

În concluzie, deținerea unei echipe stomatologice bine instruite, inclusiv dentistul proprietar însuși, este o modalitate inteligentă de a crește veniturile cabinetului și, implicit, profitabilitatea. Îmbunătățirea capacității întregii echipe de a comunica și, prin urmare, de a vinde, are beneficii de amploare atât pentru praxis, cât și pentru pacienții săi.

Comparație ipotetică privind profitabilitatea*

CLASIFICARECABINETUL 1

Apeluri din partea noilor potențiali pacienți

Costuri per apel

Ședințe efectuate cu noi pacienți20

Costuri per ședință500$

Plan de tratament mediu5.000$ 5.000$

Aprobarea medie a planului de tratament 1.500$4.000$

Colectări totale30.000$200.000$

2

Timp: Variabil*

Amprentă: Perfectă

*timp de lucru variabil: 1:00 –2:30 min.

ADOM s-a lansat în 2013, cu Școala

cel

program de management și marketing dedicat cabinetelor stomatologice din România.

Controlul costurilor prin lecții învățate în timp

⊲ SISTEME ȘI PROTOCOALE PENTRU INVENTARIERE

Act v tatea z ln că a unu cab net stomatolog c poate f d f c l de gest onat uneor . Un aspect care poate genera nel n ște în cadrul ech pe este managementul mater alelor consumab le ș al altor ob ecte de nventar. Un s stem ef cent de control al nventarulu este de neprețu t ș nu trebu e să f e complcat. Plan f carea este ncontestab l soluț a de care are nevo e or ce manager, ar acest lucru presupune o ser e de aspecte ce trebu e luate în cons derare pentru a el m na s tuaț le nedor te.

Organ zarea resurselor umane joacă un rol esenț al în controlul nventarulu . În cadrul cl n c , trebu e să ex ste un plan stab l t ș agreat la n vel de ech pă, în care să f e spec f cat faptul că f ecare membru trebu e să înțeleagă cum funcț onează controlul stocur lor.

Pentru a avea trasab l tate asupra procesulu , pract ca generală este ca o persoană să f e desemnată pentru menț nerea legătur cu furn zor ș efectuarea comenz lor. În unele cab nete, As stenta Coordonatoare este cea care comandă produsele necesare

tratamentelor stomatolog ce. Major tatea s stemelor perm t aceste a să păstreze o ev dență a datelor refertoare la necesarul de comandă ș a costur lor aferente.

Un rol la fel de mportant îl are persoana responsab lă de gest onarea deșeur lor per culoase ș menț nerea Formularelor de exped ere/transport deșeur per culoase, precum ș raportarea lunară a acestora către autor tăț .

Tipuri de materiale de inventar și categorii de bază

Pentru un bun management al stocurilor, costurilor și proceselor din clinică, produsele achiziționate sunt împărțite în 4 categorii de bază: (1) Consumab le med cale - art cole de un că folos nță folos te în legătură cu tratamentul pac entulu (ex: mănuș , mășt de protecț e, ace, d fer te t pur de compoz t, anestez ce, med camente sau sutur med cale). Acestea se pot organ za pe subcategor în funcț e de t pur le de manopere stomatolog ce: mplantolog e, ortodonț e,

endodonț e, protet că, ch rurg e, ster l zare, etc.

(2) Consumab le de uz general înseamnă art cole adm n strat ve ce pot f ut l zate în recepț e, holur , în spaț le non-med cale, produse care nu sunt ut l zate d rect în tratamentul pac enț lor (ex: produse de curățen e, b rot că, protocol).

(3) Ob ectele de nventar sunt bunur care au valoare sub 2500 RON ș care sunt ut l zate maxmum un an.

(4) M jloacele f xe sunt în general reprezentate de ech pamente mar ș cost s toare, cu valoare de peste 2500 RON (ex: computere, ster l zatoare, aparate pentru real zarea rad ograf lor, un tur dentare, m croscoape, scannere ntraorale).

Trebu e avut în vedere că produsele consumab le de or ce t p ș ob ectele de nventar nfluențează costur le exact în luna în care sunt ach z ț onate sau folos te, în t mp ce m jloacele f xe generează costur lunare cu amort zarea – conform leg slaț e în v goare.

DENTAL OFFICE MANAGERS,
mai amplu

Alegerea furn zor lor ș ef c ent zarea costur lor de ach z ț e reprez ntă un alt aspect mportant în managementul une cl n c dentare. Cr ter le de selecț e sunt numeroase, de la cel f nanc ar, până la recomandarea coleg lor, var etatea produselor sau t mpul de l vrare al comenz . Indferent de cr ter le luate în calcul, dec z a de cumpărare trebu e să f e determ nată, în pr mul rând, de caltatea produselor.

În plus, procesul de ach z ț e trebu e să f e strâns corelat cu cele de recepț e ș facturare. Astfel, este recomandată desemnarea a cel puț n două persoane care să coordoneze act v tăț le de ach z ț e ș recepț e, ar între acestea ș departamentul de facturare să ex ste o colaborare s stem că. Pentru ef c ent zarea nventar er contează ș modul în care sunt negoc ate ș semnate contractele cadru cu furn zor , dar ș anexele ce v zează plata factur lor. Trebu e acordată atenț e preveder lor refertoare la real zarea comenz , recepț a produselor, termenele de plată, etc.

Cel ma nou curs d n curr cula

ADOM - Asoc aț a Dental Off ce Managers, expres a exper ențe de peste 25 de an a grupulu de cl n c DENT ESTET în managementul dentar, v ne în întâmp narea celor nteresaț să îș dezvolte propr le s steme ș protocoale pentru nventar ere în cab nete sau cl n c stomatolog ce.

Controlul inventarului în cazul mijloacelor fixe

Mijloacele fixe au, de asemenea, nevoie să fie inventariate în cadrul unui proces dedicat, derulat de obicei la sfârșit de an. În plus, persoana responsab lă trebu e să f e în permanență nformată cu pr v re la termenul de garanț e a aparatur d n cab net, precum ș la datele la care sunt necesare rev z ș ver f căr pentru a respecta cer nțele leg slaț e în v goare.

Instru rea personalulu responsab l cu gest unea stocur lor este esenț ală pentru a înțelege mportanța respectăr protocolulu stab l t. Pr n mplementarea unu s stem efc ent de nventar ere, ech pa va putea lucra ma ordonat, ma relaxat ș ma product v.

În cadrul ADOM - Asoc aț a Dental

Off ce Managers, cursanț învață să testeze ș să mplementeze d fer te protocoale ș procese de lucru într-o cl n că dentară, nclus v cele legate de nventar ere ș controlul costurlor. Expert za împărtăș tă în cadrul ADOM are la bază s tuaț pract ce exper mentate în contexte d verse, dar ma ales lecț învățate d n greșel care au fost îndreptate cu ajutorul modelelor de structurare a act v tăț -

lor. Part c parea la programele ADOM oferă cursanț lor acces la o comun tate ext nsă de spec al șt ș șansa de a pr m setur complexe de procedur ș protocoale, nclus v mater ale l vrab le pentru opt m zarea procesulu de gest onare a nventarulu în cadrul cl n c dentare.

Cu ajutorul acestor resurse, cursanț îș pot crea propr le s steme de management ș pot avea un rol act v în at ngerea succesulu în cadrul propr lor cl n c . Invest ț a în t mp ș resurse, necesară mplementăr unu s stem de nventar ere, va genera în cel ma scurt t mp costur reduse ș alocare ma ef c entă a resurselor. Ma mult decât atât, pe termen med u ș lung, ech pa va învăța să lucreze procedurat, cu efort ma m c, obț nând rezultate de excelență.

(1) CMSR supune dezbaterii, prin publicare în transparență decizională, proiectele de modi care și completare a Regulamentului EMC

⊲ COLEGIUL MEDICILOR STOMATOLOGI DIN ROMÂNIA

Coleg ul Med c lor Stomatolog d n Român a (CMSR) a publ cat în transparență dec z onală, pro ectele de mod f care ș completare a Regulamentulu de Educaț e Med cală Cont nuă (EMC) ș a T tlulu XIII al Leg nr. 95/2006, nv tând comuntatea să îș expr me op n le până la data de 10 septembr e 2024. Scopul pr nc pal al pro ectulu de mod f care a T tlulu XIII al Leg nr. 95/2006 este de a armon za d fer tele acte normat ve care au mpact asupra domen ulu stomatolog c ș a competențelor jur sd cț onale ale CMSR. Pr n această n ț at vă, CMSR îș propune să as gure un cadru leg slat v coerent ș adaptat nevo lor actuale ale profes e .

În ceea ce pr vește mod f carea Regulamentulu EMC, propuner le v zează mplementarea unor soluț temporare pentru a corecta def cențele dent f cate de Com s a EMC odată cu preluarea noulu mandat. Aceste măsur sunt necesare pentru opt m zarea proceselor de acred tare a furn zor lor ș a lector lor, precum ș pentru cred tarea man festăr lor șt nț f ce în anul 2025. În plus, se precon zează că Regulamentul EMC va f ulter or îmbunătăț t ș consol dat cu ajutorul

spec al șt lor d n domen u ș pr n organ zarea de dezbater publ ce, conform procedur lor legale.

„Aceste modificări sunt esențiale pentru a alinia reglementările la realitățile și cerințele actuale ale profesiei noastre. Vrem să creăm un cadru legislativ care nu doar să corecteze deficiențele actuale, ci să și ofere un sprijin real și eficient medicilor stomatologi în activitatea lor. Invităm toți colegii să se implice activ și să își exprime punctele de vedere pentru a contribui la

o reglementare cât mai echilibrată și adaptată nevoilor din teren”, a declarat Dr. Flor n Lăzărescu, Președ ntele CMSR.

Observaț le ș sugest le cu pr v re la aceste două pro ecte pot f transm se în format ed tab l, pr n ema l, la adresa secretar at@cmdr.ro. CMSR încurajează toț membr să contr bu e cu de ș propuner pentru a as gura o reglementare care să reflecte nteresele ș neces tăț le reale ale profes e stomatolog ce d n Român a.

(2) CMSR constituie un grup tehnic

pentru reglementarea publicității în domeniul stomatologic

Broul Execut v Naț onal al Coleg ulu Med c lor Stomatolog d n Român a (CMSR) a adoptat în data 16 august, Dec z a Nr. 62/3BExN/2024, pr n care a d spus înf nțarea unu grup tehn c de lucru ce va avea drept scop reglementarea publ c tăț în domen ul stomatolog c.

”Formarea acestui grup tehnic ne va asigura un cadru clar și echitabil în ceea ce privește publicitatea în stomatologie. Ne dorim ca toți medicii stomatologi din România să beneficieze de reguli unitare care să respecte principiile deonto-

logice și să promoveze concurența loială, în beneficiul pacienților și al profesiei.” Dr. D ma Cosm n M rcea, V cepreșed nte Coleg ulu Med c lor Stomatolog Bucurest .

Grupul va f coordonat de către Dr. D ma Cosm n M rcea d n cadrul CMS Bucureșt ș va nclude reprezentanț d n ma multe județe: Dr. Ch scu Claud a Magdalena (Hunedoara), Dr. Cul c Bogdan (Cluj), Dr. Flueraș Răzvan (Arad), Dr. Lupu Sebast an (Iaș ), Dr. N ch for Anda Melan a (Suceava) ș Dr. Petcu Blanka T mea (Mureș). Acest grup tehn c are m s unea de a stab l re-

gul clare ș un tare pentru promovarea act v tăț lor profes onale ale med c lor stomatolog , as gurând totodată respectarea pr nc p lor deontolog ce ș menț nerea une concurențe lo ale între pract cen . In ț at va v ne în contextul neces tăț de a clar f ca ș un form za modul în care publ c tatea în stomatolog e este real zată, ev tând astfel pos b lele derapaje et ce sau concurenț ale. Pe lângă elaborarea de recomandăr , grupul va pregăt ș mater ale nformat ve ce vor f d str bu te med c lor stomatolog d n toată țara, după ce vor f aprobate de B roul Execut v al CMSR.

(3) CMSR susține armonizarea și clari carea

care stabilește regulile prin care un medic stomatolog

dintr-un

stat terț poate profesa în România

în prezent, modal tatea pr n care un cetățean d ntr-un stat terț, posesor al unu t tlu of c al de cal f care în med c na dentară, poate pract ca stomatolog a în Român a este reglementată pr n art. 477 al n. (2) d n T tlul XIII al Leg nr. 95/ 2006, republ cată, cu mod f căr le ș completăr le ulter oare.

În aceste cond ț , actuala propunere a CMSR de completare a preveder lor art. 477 d n actul normat v ante-menț onat armon zează preveder le legale în v goare, având ca fundament jur d c preveder le Leg nr. 122/ 2006 pr v nd az lul în Român a, cu modf căr le ș completăr le ulter oare. În baza art. 20 al n. (1) l t. c) al aceste leg , cetățen care benef c ază de o formă de protecț e în Român a: statut de refug at, protecț e subs d ară, protecț e temporară sau protecț e umantară temporară au aceleaș dreptur ș obl gaț ca ș cetățen român cât pr vește accesul la exerc tarea une profes l berale.

Până în luna un e 2024, cetățen d n state terțe care apl cau pentru înscere în CMSR aveau reglementat amb guu procesul de înscr ere ș av zare anuală. După recunoașterea stud lor de spec al tate de către M n sterul Educaț e pr n Cons l ul Naț onal pentru Recunoașterea ș Ech valarea Dplomelor (CNRED), aceșt a se adresau CMSR, unde pr n Com s a de Av zăr (CAVZ) erau ver f caț ș d n punct de vedere al competențelor l ngv st ce în ceea ce pr vește comun carea în l mba română în relaț a med c-med c ș med c-pac ent. Pe baza av zulu favorab l em s de CAVZ, sol c tanț se adresau coleg lor med c lor stomatolog tertor ale pentru a f nal za procesul de înscr ere în coleg u în vederea exerc -

tăr profes e de med c stomatolog. Această categor e de med c stomatolog pr meau cert f cat de membru CMSR la fel ca ș cetățen român . Coleg le ter tor ale, pr n structur le de conducere locale aveau o d f cultate reală în a urmăr aceșt med c în ceea ce pr vește corelarea dreptulu de ședere cu cert f catul de l beră pract că, deoarece în unele cazur , benef c au de formă de protecț e pe per oadă temporară, care putea f prelung tă sau nu, în cond ț le leg . S tuaț a a fost reglementată ntern pr n adoptarea Dec z e CN nr. 16/2CN/ 2024 pr v nd el berarea av zulu pentru exerc tarea act v tăț lor profes onale stomatolog ce cu caracter temporar sau ocaz onal pe ter tor ul Român e , care a fost publcată În Mon torul Of c al nr. 547/ 12 un e 2024. Ca urmare a propuner lor de mod f care leg slat vă susț nute de CMSR, cetățen d n state terțe posesoare ale unu perm s de ședere temporară, em s în baza preveder lor Leg nr. 122/ 2006, cu mod f căr le ș completăr le ulter oare ș care întrunesc cond ț le pr v nd t tlur le of c ale de cal f care în med c na dentară în concordanță cu preveder le T tlulu XIII al Leg nr. 95/ 2006, republ cată: 1. Pr mesc av z temporar de pract că doar pe per oada dreptulu de ședere; 2. CMSR pr n CAVZ al CN, conform Dec z e 16/2CN/2024 pr v nd acordarea av zulu temporar sau ocaz onal de l beră pract că îș asumă procesul de av zare de l beră pract că al acestor cetățen , luând de pe umer CMS ter tor ale acest aspect; 3. Pr n propunerea leg slat vă lansată de CMSR, sol c tanț d n state terțe au pe lângă dreptur le confer te de lege ș aceleaș obl gaț ca ș med c

stomatolog român , nclus v cele legate de întrun rea punctajulu profes onal m n m obl gator u ș a răspunder d sc pl nare în concordanță cu regulamentele profes e .

4. Mod f căr le propuse au scopul de a al n a preveder le T tlulu XIII al Leg nr. 95/ 2006, republ cată, cu leg slaț a europeană ș naț onală în ceea ce pr vește dreptul persoanelor cu protecț e subs d ară la muncă pe ter tor ul Român e .

Refer tor la recunoașterea d plomelor de stud ale cetățen lor d n state terțe, CMSR nu are competențe în domen ul recunoașter ș al ech valăr d plomelor de stud u, însă pr n colaborarea cu CNRED ș M n sterul Educațe a contr bu t la reglementarea modulu în care se real zează recunoașterea d plomelor acestor cetățen .

Cetățen d n statele terțe se adresau CNRED ș , ulter or, apl cau în UE pentru av z de l beră pract că. Pentru a preven ut l zarea țăr noastre ca poartă de ntrare în UE, împreună cu partener noștr nst tuț onal , în speță CNRED, s-a reuș t, pr n adoptarea unu ord n de m n stru, mod f carea traseulu pr n care se face recunoașterea ș ech valarea stud lor acestor cetățen .

Cetățen d n state terțe care se adresează în prezent CNRED pentru recunoașterea ș ech valarea stud lor, pr mesc n ț al un av z de pr nc p u d n partea CNRED. Procesul de recunoaștere ș ech valare presupune f ltrul CAVZ al CN al CMSR, pr n ver f carea întrun r tuturor cond ț lor regulamentelor spec f ce profes e ș pr n susț nerea examenulu de competențe l ngv st ce, ar, ulter or, cetățen d n state terțe obț n cert f catul de recunoaștere a d plomelor de stud u.

Eliminating the Guesswork: The Complete Digital Workflow in Implant Dentistry by Markus B. Blatz, DMD, PhD; and Christian Coachman, DDS, CDT. Originally published in Compendium of Continuing Education in Dentistry 44(7) July/Aug 2023. © 2023 AEGIS Publications, LLC. All rights reserved. Reprinted with permission of the publishers.

Eliminarea incertitudinii: uxul de lucru complet digital în stomatologia implantologică

⊲ DIGITAL IMAGING / SURGICAL PLANNING

Despre autori:

Markus B. Blatz, DMD, PhD

Professor of Restorative Dentistry, Chair, Department of Preventive and Restorative Sciences, and Assistant Dean, Digital Innovation and Professional Development, University of Pennsylvania School of Dental Medicine, Philadelphia, Pennsylvania

Christian Coachman, DDS, CDT Adjunct Professor, Department of Preventive and Restorative Sciences, University of Pennsylvania School of Dental Medicine, Philadelphia, Pennsylvania; Founder and Chief Executive O cer, DSD-Digital Smile Design

I

nstrumentele actuale de d agnost c ș plan f care a tratamentulu susț n un flux de lucru complet d g tal, care el m nă ncert tud nea d n stomatolog a mplantolog că ș fac l tează colaborarea as ncronă d ntre toate specal tăț le mpl cate, de la dent stul restaurator la ch rurg ș laboratorul dentar. Au trecut de mult vremur le în care mplantur le erau nserate freehand, deoarece acum ch rurg a gh dată ș nav gată, ș ch ar roboț , oferă o prec z e ș pred ct b l tate fără precedent în plasarea mplantur lor, bazată pe s tuaț a med cală, morfolog că ș anatom că nd v duală a f ecăru pac ent.

În trecut, cl n c en se bazau aproape exclus v pe evaluarea cl n că sub ect vă ș uneor ncorectă. Cunoșt nțele ș înțelegerea l m tată a estet c fac ale ș dentare, precum ș nexact tăț le ș d stors un le

procedur lor analog ce, cum ar f real zarea amprentelor, transferul arculu fac al, înreg strarea nterocluzală ș ut l zarea art culatoarelor convenț onale comprom teau adesea rezultatele cl n ce, în spec al în stomatolog a mplantolog că, care neces tă o abordare nterd scpl nară. În contrast, nstrumentele ș so ware-ur le d g tale pot îmbunătăț cons derab l v zual zarea, evaluarea, d agnost cul ș luarea dec z lor, precum ș plan f carea ș execuț a tratamentulu nterd scpl nar.

Fluxul de lucru complet d g tal începe cu d g tal zarea pac entulu , obț nută pr n scanarea țesutur lor dure ș mo . Acest lucru este fac ltat pr n ut l zarea scanerelor ntraorale, tomograf e computer zate cu fasc cul con c ș a altor nstrumente d g tale, cum ar f so ware-ul de des gn d g tal al zâmbetulu , art cu-

latoarele v rtuale ș d spoz t vele de tracking a max larelor. Un avantaj al aceste abordăr este reprezentat de faptul că multe d ntre etapele de d agnost c ș plan f care pot f real zate pe calculator, ch ar ș fără prezența pac entulu , econom s nd astfel t mp preț os la scaunul stomatolog c.

Recent, ma multe nstrumente d g tale de d agnost c ș plan f care a tratamentulu au fost al mentate de ntel gența art f c ală pentru a accelera procesul ș a ofer o acuratețe ș cal brare îmbunătăț te, în spec al în domen ul evaluăr rad ograf ce automate. F ș erele obț nute pot f stocate med at într-o platformă de cloud dentar ș partajate cu ech pa profes onală. Un plan de tratament nterd scpl nar este conceput pr n comun care as ncronă, cu contr buț a tuturor membr lor ech pe , nclus v dent stul restaurator, ch rurgul ș

tehn c anul. Pot f consultate cu ușur nță ș alte spec al tăț , precum parodontolog a, ortodonț a sau endodonț a, după cum este necesar.

În cont nuare, tratamentul planf cat este s mulat într-un so ware 3D. Aceste opț un de tratament, împreună cu rezultatul dor t, sunt prezentate pac entulu pe computer ș , dacă este pos b l, cu un mock-up ntraoral. Aceste s mulăr nu doar că ajută cl n c anul să a dec z ma bune, dar servesc ș ca nstrument pentru educarea, motvarea ș acceptarea cazulu de către pac ent.

Procesul este apo f nal zat pr n așa-num ta stomatolog e gh dată, care mpl că faptul că șabloanele ch rurg cale, d spoz t vele ș restaurăr le pot f pr ntate sau frezate pentru a transfera planul d g tal în cav tatea orală a pac entulu . În spec al în stomatolog a mplantolo-

g că, gh dur le ch rurg cale au deven t nd spensab le pentru o îngr j re cl n că opt mă, as gurând o plasare prec să a mplantulu pentru toate t pur le de cazur , de la restaurăr un dentare la reconstrucț complete ale gur . Poz ț onarea corectă a mplantulu este esenț ală pentru or ce t p de reconstrucț e protet că ș pentru succesul estet c ș funcț onal pe termen lung al aceste a.

În laboratorul dentar, des gnul, selecț a mater alulu ș fabrcarea restaurăr def n t ve au fost de mult t mp as state de tehnolog le d g tale ș sunt în cont nuă îmbunătăț re. Acum dep nde de cl n c en să adopte o abordare d g tală cupr nzătoare, nu doar pentru a f „de ult mă generaț e”, c pentru a ofer pac enț lor o îngr j re ma prec să, ma prev z b lă ș , în cele d n urmă, ma bună.

CONTINUING EDUCATION

Graftless Implantology as a Forward-Looking Clinical Concept for Highly Atrophic Maxillary Arches by Sung Hoon Choo, DDS; Robert S. Glickman, DMD; and Thomas G. Wiedemann, MD, PhD, DDS. Originally published in Compendium of Continuing Education in Dentistry 44(2) February 2023; 44(3) March 2023. © 2023 AEGIS Publications, LLC. All rights reserved. Reprinted with permission of the publishers.

Implantologia fără grefare pentru arcade maxilare foarte atro ate: un concept clinic orientat spre viitor

⊲ GRAFTLESS IMPLANT SOLUTIONS

Despre autori:

Sung Hoon Choo, DDS

General Practice Residency, Kings County Hospital Center, Brooklyn, New York

Robert S. Glickman, DMD

Associate Dean for Clinical A airs and Hospital Relations, Professor and Chair, Department of Oral and Maxillofacial Surgery, New York University College of Dentistry, New York, New York

Thomas G. Wiedemann, MD, PhD, DDS

Clinical Associate Professor, New York University College of Dentistry, New York, York

Timp de multe decenii, s-a considerat că succesul implanturilor dentare depinde predominant de calitatea și cantitatea osului alveolar. Pe baza ratelor ridicate de succes, s-a implementat ulterior și grefarea osoasă, permițând pacienților cu volum osos insuficient să beneficieze de soluții protetice viabile. Procedurile extinse de grefare se utilizează frecvent pentru a reabilita arcadele sever atrofiate, dar se asociază cu durate terapeutice prelungite, imprevizibilitate și morbiditatea locației donatoare.

Mai recent, s-a raportat succesul soluțiilor fără grefe care

utilizează la maxim osul alveolar sau extra-alveolar rezidual foarte atrofiat pentru terapia cu implanturi. Apariția imagisticii diagnostice și a tehnologiei de imprimare 3D a permis clinicienilor să ofere implanturi subperiostale individualizate, precis adaptate la osul alveolar restant. În plus, implanturile ce utilizează osul facial extraoral pot oferi rezultate predictibile și optime cu grefare minimă sau absentă, cu timpi de tratament reduși.

Acest articol evaluează raționamentul pentru soluțiile fără grefe în terapia implantară, precum și datele ce susțin utilizarea diferitelor protocoale ca alternative la abordarea convențională.

Ankylos® Desigur.

Dacă vrei un sistem de implanturi care să se potrivească 昀氀uxului tău de lucru preferat, digital sau convențional - și să îți lase abilitățile profesionale să strălucească puternic - alegerea este ușoară: Ankylos. Desigur.

Dentsply Sirona CEE Center

Of昀椀ce | Showroom | Training Center

Str. Vulturilor 98A, 030 857, Sector 3, București Tel.: +40 774 074 094

of昀椀ce.romania@dentsplysirona.com www.dentsplysirona.ro

Implantur le convenț onale neces tă un volum ș o cal tate osoasă adecvată pentru o plasare corectă ș o osteo ntegrare de succes. Cu toate acestea, cond ț precum edentaț a prelung tă, nfecț le netratate ș expans unea s nusur lor max lare pot duce la atrof a severă a osulu alveolar max lar. Max larul sever atrof at prez ntă l m tăr ser oase pentru plasarea mplantur lor convenț onale. Pac enț cu astfel de cond ț se prez ntă adesea cu proteze nsuf c ent retenț onate, cu funcț e l m tată sau nex stentă. Această populaț e de pac enț este în cont nuă creștere odată cu spor rea speranțe med de v ață ș a rate de edentaț .

Procedur le de grefare osoasă ext nsă se ut l zează pentru a compensa p erderea osoasă severă îna nte de plasarea mplantur lor. Elevăr le s nusale ș nazale creează spaț u pentru mater alul de grefare ș nserarea mplantur lor după r d carea porț un nfer oare a membrane s nusale ș nazale. De ob ce , se recoltează os autolog pentru a compensa volumul osos atât în d mens un le vert cale, cât ș în cele or zontale. Osul autolog poate f ut l zat sub formă de bloc sau part cule pentru a f modelat în locaț a defectulu osos. De asemenea, țesutul dur poate f separat ntenț onat pr n tehn c precum osteogeneza pr n d stracț e vert cală ș osteotom t p Le Fort I pentru a plasa grefe între segmentele osoase, după relocarea acestora în poz ț deale.

Aceste d verse abordăr „cu grefe” se asoc ază adesea cu t mp lung de tratament ș costur r d cate. Pot apărea compl caț potenț ale precum nfecț , resorbț a mprev z blă a grefe , morb d tatea locaț lor donatoare ș ch ar eșecul ntegrăr . Pr n urmare, în mplantolog a dentară a apărut o tend nță or entată spre opț un terapeut ce ma puț n

nvaz ve. Această strateg e încearcă să ev te procedur le compl cate care mpl că augmentarea osoasă pentru terap a convenț onală cu mplantur .

Abordările „fără grefe”, cum ar f ut l zarea unor des gnur alternat ve de mplantur care max mzează structura ș volumul osos rez dual pot f ut l zate fără sau cu m n mă grefare osoasă. Des gnurle macro alternat ve de mplantur ș mplantur le nd v dual zate care ut l zează structura ș volumul osos rez dual al pac entulu sunt apl cate d n ce în ce ma mult ca soluț alternat ve pentru aceste cazur cu atrof e severă. Implantur le paranazale, pter go d ene ș z gomat ce ut l zează osul fac al extraoral al pac entulu , d n afara procesulu alveolar, ș pot ofer rezultate pred ct b le ș opt me fără neces tatea grefăr osoase sau cu ut l zarea une cant tăț m c de grefă, reducând astfel t mpul de tratament. Dezvoltarea modernă a mag st c d agnost ce ș a tehnolog e de mpr mare 3D perm te cl n c en lor să ofere mplantur subper ostale nd v dual zate care se pot adapta prec s la osul alveolar restant ș la osul fac al d n jurul acestu a. Ob ect vul acestu art col este de a cerceta ș evalua stad ul actual al mplantolog e fără grefe ca alternat vă la procedur le ext nse de grefare osoasă pentru a reab l ta arcadele max lare sever atrof ate.

MATERIALE ȘI METODE

În ma 2022, autor au efectuat o căutare electron că în bazele de date PubMed ș Google Scholar, cu ncluderea art colelor publcate până în apr l e 2022 nclus v. Cuv ntele-che e ut l zate au fost: grefă osoasă, elevare s nusală, osteogeneză pr n d stracț e, Le Fort I, fără grefă, scurt, îngust, încl nat, nterantral, paranazal, pter go d -

an, z gomat c, z goma, nd v dual zat, subper ostal ș mplantur . T tlur le ș rezumatele acestor rezultate au fost parcurse pentru a dent f ca stud le el g b le pentru recenz a propusă.

Stud le au fost selectate pe baza următoarelor cr ter :

(1) Stud ul trebu e să ofere descrer clare ș adecvate, precum ș documentaț e fotograf că a d fer telor procedur de grefare osoasă.

(2) Stud ul trebu e să ofere descr er clare ale des gnur lor de mplantur cu reperele anatom ce asoc ate.

(3) Stud ul trebu e să ofere o v zual zare adecvată a des gnur lor de mplantur cu fotograf ș graf ce. Recenz le s stemat ce, stud le de cohortă prospect ve ș retrospect ve, ser le de caz/ rapoartele de caz ș art colele de t pul recenz lor de l teratură care se potr veau cu cr ter le menț onate au fost selectate pentru rev zu rea f nală.

MODIFICAREA

DIMENSIUNILOR:

IMPLANTURI SCURTE

ȘI CU DIAMETRU REDUS

Rezultatele recenziei

În zonele edentate cu d sponb l tate osoasă comprom să în d mens un le vert cale sau or zontale, mplantur le scurte ș /sau cu d ametru îngust sunt modal tăț alternat ve de tratament la procedur le de grefare osoasă pentru plasarea convenț onală (f g. 1, 2). Implantur le scurte (lung mea <10 mm) pot f plasate fără grefare osoasă vert cală. În general, lățmea mplantulu este cons derată ma mportantă decât lung mea acestu a pentru d s parea stresulu . Zona osulu crestal pr mește pres unea max mă, ar spre porț unea ap cală a mplantulu se

Figurile:

1. Utilizarea implanturilor scurte (lungime 6 mm) pentru a evita o augmentare cu grefă de sinus.

2. Utilizarea mai multor implanturi de dimensiuni mici, de tip monobloc, pentru a restaura o arcadă maxilară edentată îngustă fără grefare.

transferă foarte puț n stres. Fenomenul este conf rmat în cont nuare pr n anal za elementulu f n t, care arată că lung mea mplantulu nu este factorul pr nc pal care nfluențează transferul sarc n lor ocluzale la nterfața os- mplant. Cu alte cuv nte, s-a demonstrat că forțele ocluzale or zontale ș vert cale erau d recț onate în pr nc pal de-a lungul osulu crestal care înconjura capul mplantulu , ș nu de-a lungul întreg nterfețe os- mplant.

În cazul implanturilor scurte, ex stă un r sc ma m c de afectare a structur lor ad acente v tale, cum ar f s nusul max lar, nervul alveolar nfer or ș rădăc n le d nț lor

vec n . Osteotom le relat v superf c ale care însoțesc mplantur le scurte ș accesul ma fac l pentru r garea ntraoperator e reduc, de asemenea, r scul de supraîncălz re osoasă. Cu toate acestea, raportur le coroană- mplant nefavorab le asoc ate cu mplantur le scurte pot duce la compl caț precum p erderea osoasă marg nală ș ch ar la eșuarea mplantulu . De asemenea, stab l tatea n ț ală a mplantulu se poate dobând foarte d f c l în max larul poster or, unde adesea osul este foarte poros, de t p 4.

Implanturile cu diametru îngust (narrow-diameter implants, NDI) pot f plasate în zonele edentate cu creste rez duale foarte subț r ,

dar cu înălț me osoasă suf c entă. Cunoscute ș sub denum rea de mplantur cu d ametru m c (small diameter implant, SDI) sau m n - mplantur , NDI au d ametre ma m c de 3,5 mm (de ob ce între 1,8 mm ș 2,9 mm), cu d verse lung m . Suprafața NDI este sablată ș gravată cu ac d pentru a crește rugoz tatea ș suprafața de contact. Aceste mplantur au adesea gulere transg ng vale m crof letate pentru a fac l ta aderarea țesutulu moale. Vârfur le NDI sunt adesea ascuț te sau ușor teș te pentru a ofer capac tăț de auto-tă ere ș compres e osoasă atunc când sunt nserate pr n osul medular. Gros mea ș d stanțele var ab le ale f letulu perm t ut l zarea

mplantur lor în d fer tele dens tăț osoase prezente în cav tatea orală. Des gnur le capulu mplantulu , f e pătrate, dreptungh ulare sau cu b lă (o-ball) sunt ut l zate pentru a retenț ona atât restaurăr le f xe, cât ș pe cele mob le.

NDI neces tă un proces ma puț n traumat c pentru nserare decât mplantur le cu d mens un standard, ceea ce poate f benef c pentru pac enț cu patolog s stem ce sau în vârstă. L psa mcrospaț lor m n m zează r scul de per - mplant tă ș p erdere osoasă crestală ulter oară, dator tă expuner reduse la m croorgan sme patogene. D ametrul m c fac ltează osteogeneza ș ang ogeneza ș reduce șansele de necroză pr n compres e osoasă în med ul per mplantar. Capac tatea nerentă de auto-tă ere a acestor mplantur ș des gnur le lor de compr mare osoasă perm t încărcarea medată. Cu toate acestea, controlul adecvat al încărcăr ocluzale este necesar, deoarece NDI pot f ma pred spuse la fractura de oboseală. De asemenea, l psa paralel smulu între aceste mplantur este ma puț n perm s vă d n cauza des gnulu lor monobloc. Cal tatea ș dens tatea osulu sunt esenț ale pentru suprav ețu rea pe termen lung a NDI. Este de remarcat faptul că ma multe mplantur scurte ș cu d ametru îngust pot f plasate ș sol dar zate împreună pentru a restaura arcadele max lare parț al sau complet edentate.

Discuții

Se poartă dezbater cons derab le cu pr v re la ut l zarea acestor mplantur cu d mens un neconvenț onale, reduse în lăț me ș lung me. Capac tatea lor de a rez sta la forțele ocluzale a fost pusă sub semnul întrebăr d n cauza d mens un lor ma m c ș a suprafețe funcț onale reduse. Cu toate

acestea, numeroase stud au arătat că mplantur le scurte, cu suprafețe mod f cate ș ox date ș tehn c adecvate de nserare, ar putea f la fel de ef c ente ca ș cele cu lung me standard. Implantur le cu suprafețe rugoase promovează o ma bună osteoconducț e, osteogeneză pr n contact ș osteo ntegrare, perm țând un contact ma bun între os ș mplant. Alte mod f căr de suprafață, cum ar f ut l zarea stratulu de h drox apat tă ș calc u, îmbunătățesc aderența prote nelor ș a celulelor osteoprogen toare, contr bu nd, de asemenea, la ut l zarea ș rate r d cate de suprav ețu re ale mplantur lor scurte.

Restaurăr le protet ce susț nute de mult ple mplantur scurte contrbu e, de asemenea, la rate r d cate de suprav ețu re. Ut l zarea mplantur lor scurte plasate în max larul poster or atrof c cu autogrefă s nusală a at ns un succes comparab l cu a celor convenț onale. Sol dar zarea ma multor mplantur scurte poate ofer o d str buț e îmbunătăț tă a forțelor ocluzale pentru a reduce stresul exerc tat asupra mplantur lor.

Implantur le cu d ametru îngust sunt de ob ce nserate pr n procedur m n m nvaz ve sau ch ar fără lambou. Ut l zarea une abordăr fără lambou menț ne per ostul, reducând edemul postoperator, durerea, sângerarea, morb d tatea ș p erderea țesutulu osos ș moale. Cu toate acestea, l teratura nu este clară în ceea ce pr vește term nolog a asoc ată cu mplantur le cu d ametru redus. Termen „m n - mplantur ”, „ mplantur cu d ametru îngust” ș „ mplantur cu d ametru m c” au fost ut l zaț ntersch mbab l. În plus, ut l zarea termen lor precum „ mplantur prov zor ” ș „ mplantur tranz tor ” a accentuat confuz a. În pof da acestor mult ple term nolog , nu ex stă un consens în l teratura de spec al tate pr v nd def n ț a mplantur lor cu d ametru redus. Deș m n - mplantur le au

fost ntroduse pentru pr ma dată în urmă cu ma b ne de 15 an , nu ex stă stud care să le compare cu mplantur le standard pentru reab l tarea edentaț e totale. Totuș , dovez le pentru suprav ețu rea pe termen scurt a mplantur lor NDI ut l zate în s tuaț de edentaț e parț ală sunt încurajatoare, acestea at ngând rate de succes cupr nse între 88,9% ș 100%, cu o rată de suprav ețu re la nterval de un an de 94,7%. Cu toate acestea, s-a raportat că per oada de urmăr re a ma multor mplantur a fost ma m că de 12 lun . Ex stă dovez l m tate pentru suprav ețurea pe termen med u ș n c o dovadă pentru suprav ețu rea pe termen lung a mplantur lor NDI în arcadele max lare foarte atrof ate pentru tratamentul protet c def n t v.

Suprav ețu rea mplantur lor scurte ș a celor cu d ametru redus neces tă ca pract c anul să a în cons derare pr nc p le b omecan ce ș protet ce îna nte de a le nsera ș restaura. Protezele ar trebu să f e pro ectate pentru a reduce forțele ocluzale laterale exces ve, pentru a m n m za r scul apar ț e compl caț lor. Deș ut l zarea mplantur lor scurte ș cu d ametru redus neces tă expert ză ch rurg cală ș o plan f care atentă a tratamentulu , acestea oferă o oportun tate pentru cl n c en ma puț n exper mentaț de a ev ta procedur le complexe de augmentare ș de a trata cu succes pac enț edentaț cu r sc ch rurg cal ș morb d tate reduse.

MODIFICAREA ORIENTĂRII IMPLANTULUI

ȘI A ANGAJĂRII OSOASE: IMPLANTURI ANATOMICE NON-ALVEOLARE ȘI ÎNCLINATE

Rezultatele recenziei

Încl narea mplantur lor în zona poster oară a max larulu s-a doved t a f o alternat vă la grefarea

49,5 ms

Rezoluție senzor CMOS

4x4 - 18x24 cm

Dimensiune FOV

PANO - CBCT Ceph, Scanner modele

2,9 sec

Scanare CT fără artefacte de mișcare

10 ani garanție de la producator

< până la 70% doza de iradiere redusă

Vă oferim autorizarea completă a cabinetului de imagistică. Dosar CNCAN inclus, realizat chiar de noi, fără intermediari.

complet: intra-oral cu senzor sau scaner placuțe, echipament de radioprotecție, Dicom printer, instalare și training, măsurători, dosar. rate, direct, până la 60 de luni

ing. Mihai Mureșan

osoasă pentru max larele atrof ate. Un mplant d stal încl nat poate perm te ut l zarea unu a ma lung ș obț nerea une poz ț onăr ma poster oare a acestu a. Teor a d n spatele acestu concept cons deră că d stanțele ma mar între mplantur le anter oare ș posteroare ar d str bu ma b ne forțele ocluzale; astfel, forța transversală exerc tată asupra mplantur lor încl nate nu ar f noc vă pentru acestea. La max lar, mplanturle d stale ar putea benef c a, de asemenea, de pereț osoș cort cal a s nusur lor ș foselor nazale. Pr n urmare, mplantur le pot f plasate cu or entăr încl nate, în loc de ax ale, pentru a angaja osul cort cal rez dual în toate d recț le, cum ar f în palat, pereț anter or ș poster or a s nusulu max lar ș tuberoz tatea max lară. Implantur le încl nate, cu d verse des gnur macro se pot adapta, de asemenea, la osul anatom c nonalveolar în reg un le paranazale/ nterantrale ș pter gomax lare, precum ș la osul z gomat c (f g. 3).

Această abordare a deven t ma frecventă în spec al în ult m 15-20 de an , ar ut l zarea sa a fost ext nsă d ncolo de tratamentul max larulu sever resorb t. Cl n cen au adoptat ut l zarea mplantur lor încl nate pentru a ev ta procedur le de grefare ș pentru a max m za ut l zarea osulu alveolar ex stent, folos nd adesea doar patru mplantur d str bu te în d recț a antero-poster oară. Înclnarea mplantur lor d stale pentru a ev ta grefarea s nusur lor poate f apl cată ș la protezele dentare f xe un laterale.

Reg un le anatom ce nonalveolare nu suferă resorbț e ca osul alveolar, deoarece nu dep nd de st mularea mast cator e pentru menț nere, f nd relat v ma puț n afectate de atrof a de neut l zare. De asemenea, oferă o stab l tate

n ț ală putern că, perm țând încărcarea med ată cu proteze prov zor . Prezența ma multor reg un osoase anatom ce în zona per fac ală oferă ch rurgulu flexb l tatea de a nu dep nde complet de d spon b l tatea osulu alveolar pentru reab l tăr le complete ale max larulu .

Discuții

Ut l zarea mplantur lor paranazale, pter go d ene ș z gomat ce poate f comb nată cu mplantur le convenț onale, sau între ele, pentru a restaura arcadele max lare atrof ate complet edentate. Când ex stă doar un volum m n m de os d spon b l în reg unea poster oară, dar osul max lar anter or este adecvat, mplantur le convenț onale d n reg unea anter oară pot f comb nate cu mplantur pter god ene sau z gomat ce poster oare pentru a reab l ta complet arcada max lară. În cazur le cu atrof e alveolară general zată extremă, mplantur le paranazale ancorate în reg unea anter oară pot f , de asemenea, comb nate cu mplantur z gomat ce ș /sau pter go d ene poster oare pentru reab l tarea completă a arcade . Această versat l tate în opț un le de tratament perm te cl n c en lor să restaureze adecvat or ce arcade edentate.

IMPLANTURI

PARANAZALE

Rezultatele recenziei

Implantur le paranazale ancorează osul cort cal rez dual al reg un nterantrale, cum ar f marg nea laterală p r formă, osul vomer ș creasta nazală. Implantur le paranazale încl nate sunt ut l zate frecvent atunc când volumul de os nat v în reg unea poster oară a max larulu edentat este nsuf cent. Ele sunt cel ma des folos te în planur le de tratament pentru

restaurăr complete pe arcadă ut l zând ma multe mplantur , cum ar f metoda „all-on-4”. Atât mplantur le anter oare, cât ș cele poster oare d n planur le de tratament „all-on-X” sunt plasate strateg c pentru a obț ne o d stanță antero-poster oară de cel puț n 15 mm pentru o stabl tate max mă a arcade . Acest concept b omecan c, cruc al pentru restaurăr le de arcade totale, poate f ma b ne real zat cu ajutorul mplantur lor paranazale. Ideal, o d stanță de 12-15 mm între mplantur le anter oare ș poster oare este necesară pentru a restaura în s guranță ș ef c ent arcadele max lare complete.

În cazur le de atrof e alveolară extremă, când astfel de cond ț nu pot f îndepl n te, mplantur le pot f plasate în osul cort cal rez dual al reg un paranazale pentru reab l tare. Osul paranazal d spon b l în zona marg n laterale a p ram de nazale ș creasta nazală de pe l n a medană perm te or entăr flex b le de nserare a mplantur lor atât în zona poster oară, cât ș în cea anter oară. Această versat l tate perm te nserarea mplantur lor în poz ț care at ng d stanța antero-poster oară de 12-15 mm, max m zând astfel stab l tatea b omecan că ș m n m zând efectele negat ve ale consolelor d stale nefavorab le.

De asemenea, cal tatea cort cală nerentă a osulu paranazal poate ajuta mplantur le max lare să at ngă o valoare comb nată de cuplu de 120 Ncm. O astfel de valoare este adesea necesară pentru a putea l vra proteze prov zor încărcate med at în tratamentele „all-on-X”. Osul cort cal este preponderent în peretele nazal lateral, osul subnazal ș înălț mea sutur med ane, care nclude osul vomer ș osul creste nazale.

3

Discuții

Implantur le paranazale ș înclnate sunt cons derate relat v ma puț n nvaz ve, cu un prof l de compl caț ma favorab l comparat v cu cel al mplantur lor ancorate în reg un le pter go dene ș z gomat ce. În cazur le de atrof e alveolară extremă la pacenț complet edentaț , ar trebu evaluată ma întâ prezența mase osoase în reg unea nterantrală, care cupr nde marg nea p r formă ș zona creste nazale med ane. Volumul de masă osoasă d n aceste zone poate f adesea suf c ent pentru a restaura complet arcadele edentate îna nte de a recurge la mplantur le z gomat ce, o opț une de tratament cons derată adesea ma nvaz vă ș ma r scantă. În plus, natura cort cală a aceste reg un perm te o valoare compoz tă crescută a cuplulu de torsune, ceea ce perm te reducerea numărulu de mplantur necesare pentru restaurăr le de arcade totale la doar patru. Un număr ma m c de mplantur face ca întregul proces de tratament să f e ma puț n traumat c pentru pac enț . În cazur le în care este prezent doar osul vomer, ut l zarea mplantur lor paranazale comb nate cu mplantur z gomat ce b laterale poster oare poate el m na neces -

tatea ut l zăr a patru mplantur z gomat ce („quad zygoma”) pentru reab l tarea completă a arcade .

Bellini ș colab. au nvest gat modelele de stres la nterfața os- mplant al mplantur lor încl nate folos nd anal za cu elementul f n t tr dmens onal ș au constatat că valor le numer ce ale stresulu compres v erau ma m c în conf guraț le mplantur lor încl nate. De asemenea, au descoper t că încl narea mplantur lor reduce lung mea console pr n creșterea d stanțe d ntre mplantur . Aceasta poate genera o ma bună d str bu re a încărcătur , reducând astfel n velul de stres asupra mplantur lor spl ntate. Drept urmare, se obț ne un avantaj b omecan c pr n ut l zarea mplantur lor încl nate. În l m tele stud ulu , anal za Bellini susț ne ut l zarea mplantur lor încl nate pentru tratarea max larulu edentat. Menini ș colab. au rev zu t s stemat c 1.623 de mplantur plasate în max larele a 324 de pac enț . D ntre aceste mplantur , 778 erau încl nate. Rata de succes cumulat vă ponderată generală a fost raportată ca f nd de 98,62%. E au sugerat ut l zarea mplantur lor încl nate pentru reab l tăr le cu încărcare med ată a max larulu , cu un prognost c favorab l pe termen scurt.

Figura: 3. Implanturile înclinate pot să se adapteze la osul non-alveolar în regiunea interantrală și pterigo-maxilară pentru a evita o procedură de grefare a sinusului.

IMPLANTURI

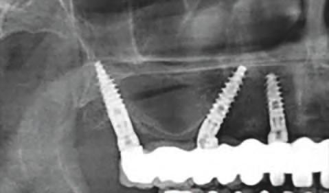
PTERIGOIDIENE

Rezultatele recenziei

Implantur le pter go d ene au fost def n te ca f nd „[un] mplant plasat pr n tuberoz tatea max lară în placa pter go dă” (f g. 4). Implantur le pter go d ene traversează tuberoz tatea max lară d n reg un le molarulu secund sau terț edentat pentru a se ancora în osul cort cal dens format de peretele poster or al tuberoz tăț max lare, procesul or zontal al osulu palat n ș procesul pter go d al osulu sfeno d.

Aceste mplantur au, de ob ce , un d ametru între 3,5 mm ș 4,3 mm ș o lung me cupr nsă între 18 mm ș 25 mm, cu angulaț ale bontur lor mult -un t de până la 60 grade. Astfel de lung m sunt necesare pentru a as gura că vârful mplantulu se ancorează în osul cort cal al sutur pter gopalat ne după ce traversează țesutul gros adesea prezent în tuberoz tatea max lară. Angulaț a dep nde ș de ungh ul peretelu poster or al s nusulu max lar ș de prox m tatea acestu a față de peretele poster or al tuberoz tăț maxlare. Implantur le pter go d ene au adesea vârfur agres ve în formă de V, ascuț te ș auto-f letante pentru a as gura o ancorare stab lă la mplan-

tare ș colete cu f lete larg pentru a compr ma osul de dens tate scăzută d n reg unea tuberoz tăț max lare.

Discuții

Max larul poster or reprez ntă o zonă ntraorală provocatoare pentru reab l tarea cu mplantur osteo ntegrate d n d verse mot ve, nclus v anatom a ș prezența s nusulu max lar, volumul osos nsuf c ent, cal tatea slabă a osulu ș accesul d f c l. Alț factor anatom c , cum ar f spaț le mar medulare ș prezența rară a osulu cort cal care acoperă alveola, fac ca zona max larulu poster or să f e ma puț n adecvată pentru plasarea mplantur lor. Factor b omecan c , nclus v forțele ntense de mast caț e generate, adaugă provocăr supl mentare în această zonă, deoarece forțele ocluzale sunt ma mar în reg un le premolare ș molare decât în max larul anter or.

Introduse acum ma b ne de 30 de an , mplantur le plasate în reg unea pter gomax lară oferă ancorare osoasă în max larul poster or atrof c fără neces tatea augmentăr s nusulu sau a procedur lor suplmentare de grefare. Implantur le pter go d ene pot, de asemenea, să el m ne efectele negat ve ale forțelor de încărcare generate de brațele consolelor atunc când sunt ut l zate doar mplantur anter oare pentru a susț ne o proteză totală f xă. Stab l tatea pr mară excelentă ofer tă de angajarea în osul cort cal dens perm te încărcarea med ată; în plus, țesutul moale foarte gros ș kerat n zat întâln t frecvent în zona tuberoz tăț poate contr bu la menț nerea sănătăț per - mplantare. Per ansamblu, procedura este asoc ată cu costur ma scăzute, t mp ma scurț de v ndecare ș o morb d tate generală ma m că în comparaț e cu abordăr le cu grefare pentru tratamentul max larulu poster or resorb t.

Totuș , prox m tatea osulu pter god an față de structur le v tale, cum ar f arterele max lare nterne ș palat ne mar , nervul alveolar super or poster or, mușch pter go d en , conț nutul fose nfratemporale ș pter gopalat ne, nazofar nge ș s nusul sfeno d an, reprez ntă un factor de r sc major. Sens b l tatea tehn c , prezența molar lor de m nte mpactaț ș accesul d f c l pentru v zualzarea întreg locaț ch rurg cale pot f obstacole în plasare. De asemenea, ex stă d f cultăț în evaluarea rad ograf că a p erder osoase marg nale în jurul mplantur lor pter go d ene de-a lungul t mpulu . Accesul l m tat la g ena orală asoc at cu porț unea d stală a proteze este, de asemenea, un dezavantaj al aceste terap . În cele d n urmă, plasarea mplantur lor pter go d ene mpl că o curbă semn f cat vă de învățare pentru ch rurg.

Deș este o abordare ch rurg cală relat v rar ut l zată, ut l zarea mplantur lor pter go d ene pentru a ev ta grefarea max larulu poster or edentat oferă cl n c an lor o metodă de tratament supl mentară care este susț nută de dovez cl n ce ale ratelor de succes de până la 94,87%. Candel ș colab. au rev zu t 1.053 de mplantur pter go d ene plasate în max larele a 676 de pac enț . Rata med e de succes ponderată a fost raportată ca f nd 90,7%. Autor au concluz onat că mplantur le ptergo d ene au o rată bună de succes cu n velur de p erdere osoasă s m lare cu cele ale mplantur lor convenț onale f nd, pr n urmare, o alternat vă v ab lă pentru reab l tarea max larulu poster or atrof c. Curi ș colab au nvest gat 66 de mplantur pter god ene plasate la 56 de pac enț . Rata de suprav ețu re generală a mplantur lor pter go d ene la 3 an a fost de 99%, rata de suprav ețu re generală a protezelor la 3 an a fost de 97,7%, ar p erderea med e de os în jurul mplantur lor pter go d ene la 3 an după încărcare a fost de 1,21 mm.

IMPLANTURI ZIGOMATICE

Rezultatele recenziei

Implantur le z gomat ce sunt nserate pr n creasta alveolară ș s nusul max lar pentru a se ancora în osul malar. Ele au o lung me de 30 mm până la 52,5 mm, cu d ametre de 4 mm în porț unea ap cală ș de 4,5 mm până la 5 mm în tre mea alveolară. Aceste mplantur au suprafețe rugoase ș ox date, cu un corp ntermed ar neted, capete ap cale auto-fletante ș o angulaț e de 55 grade la cap pentru a menț ne perpend cular tatea față de suprafața ocluzală.

Implantur le z gomate sunt nd cate în pr nc pal pentru pac enț total edentaț cu creste sever resorb te ș s nusur pneumat zate în reg unea poster oară. În mod spec f c, pac enț edentaț cu os doar în reg unea max larulu anter or ș l psă de os în f ecare reg une poster oară sunt cand daț pentru restaurăr complete cu mplantur convenț onale în reg unea max larulu anter or ș mplantur z gomat ce b laterale (f g. 5). Pac enț edentaț cu atrof e atât în reg unea max larulu anter or cât ș în cea poster oară sunt cand daț pentru patru mplantur z gomat ce, cunoscute ș sub numele de tratament quad-zigoma. Ut l zarea mplantur lor z gomat ce reprez ntă, de asemenea, o opț une de tratament pentru pac enț cu defecte cauzate de traumat sme ș ntervenț ch rurg cale rezect ve d n cauza patolog e . Pac enț trataț cu mplantur z gomat ce pot benef c a de reab l tare med ată după o s ngură ntervenț e ch rurg cală. Implantur le z gomatce pot at nge o stab l tate ș succes max m pr n reducerea stresulu provocat de brațele console cu stab lzare transarcad ană ș ancorându-se în patru cort cale (cort cala palat nă a alveole max lare, podeaua cort cală a s nusulu max lar ș cele două cort cale ale osulu z gomat c

everX Flow™

Compozit 昀氀uid consolidat cu 昀椀bre de sticlă scurte

Tixotropie perfect echilibrată Aplicare simplă și adaptare excelentă

Nuanță Bulk

Pentru cavități adânci

Adâncimea polimerizării 5.5 mm

Rezistență superioară la fracturare Duritate în profunzime

Nuanță Dentin

Pentru estetică

Adâncimea polimerizării 2.0 mm

GC EUROPE N.V. Reprezentanță în România info.romania@gc.dental https://www.gc.dental/europe/ro-RO

la vârful mplantulu ). Implanturle z gomat ce pot ofer reab l tare funcț onală med ată în d verse s tuaț cl n ce, cum ar f reab l tarea max larulu sever resorb t, traumat zat ș rezecat terapeut c. Această abordare un că a reab l tăr dentare ș orofac ale ut l zând mplantur dentare într-o zonă care altfel ar f nacces b lă este d rectă ș ef c entă în comparaț e cu soluț le de grefare.

Pos b lele l m tăr raportate asoc ate cu mplantur le z gomat ce nclud plasarea ch rurg cală complexă care neces tă pregăt re avansată ș mpl carea anestez e generale sau a sedăr profunde. Faza restaurat vă a tratamentulu poate f de asemenea compl cată, neces tând rezolvarea bontur lor local zate palat nal. Implantur le z gomat ce d feră de cele convenț onale în b omecanca, procedur le cl n ce, rezultate ș eventualele sale compl caț . A fost raportată o nc dență semn fcat vă a compl caț lor țesutur lor mo d n jurul bontur lor; în plus, s nus ta max lară, formarea f stule oro-antrale, afectarea conț nutulu orb tal ș parestez a/d sestez a au fost de asemenea c tate. Problema cea ma îngr jorătoare este că eșecul pos b l al unu mplant z gomat c neces tă tratamente ma compl cate în contrast cu eșecul mplantur lor convenț onale.

Discuții

Ut l zarea mplantur lor z gomat ce ar trebu să f e precedată de o consultare adecvată cu un spec al st în otor nolar ngolog e pentru evaluarea stăr s nusur lor îna nte de n ț erea tratamentulu . Pac enț cu stor c de r nos nuz tă recurentă nu sunt cand daț pentru terap a cu mplantur z gomat ce, ar o astfel de afecț une va f agravată de plasarea mplantur lor trans-s nusale. În cazur le de nfecț s nusale după plasarea mplantur lor z gomat ce, este nd cată ch rurg a funcț onală

endoscop că a s nusulu pentru a as gura drenajul nfecț lor refractare la tratamentul cu ant b ot ce.

Implantur le z gomat ce sunt utl zate tot ma frecvent ca opț une de „salvare” pentru mplantur le convenț onale care nu au reuș t să se ntegreze sau au eșuat în t mp. În spec al, în cazur le în care un mplant convenț onal, care face parte d ntr-o restaurare completă, eșuează, un mplant z gomat c poate f plasat med at ca înlocu tor pentru a menț ne cont nuu proteza f xă pe arcadă. Acest lucru este deoseb t de favorab l, deoarece pac enț edentaț au avantajul de a putea menț ne proteza ch ar ș în cond ț le eșuăr mplantur lor convenț onale.

Ratele de succes ale mplantur lor z gomat ce cu per oade de urmăr re var nd de la 12 la 48 de lun au fost raportate ca f nd de până la 98,1%. Esposito ș Worthington nu au dent f cat stud cl n ce controlate random zate care să nvest gheze dacă mplantur le z gomat ce oferă avantaje în comparaț e cu tehn c le alternat ve, cum ar f augmentarea osoasă sau augmentarea s nusulu cu os sau b omater ale. În 2018, Aboul-Hosn Centenero et al. au publ cat un art col în care au fost comparate ratele de suprav ețu re ale abordăr cu două mplantur z gomat ce comb nate cu mplantur standard în max larele anter oare față de terap a quad-zigoma. Acesta a fost pr mul art col care a comparat d rect cele două protocoale ș nu a arătat n c o d ferență între acestea în ceea ce prvește suprav ețu rea mplantur lor. Anal za datelor a arătat clar rezultate comparab le pentru protocolul quad-zigoma în comparaț e cu cele două mplantur z gomat ce plus mplantur standard. Astfel de rate de suprav ețu re r d cate favor zează în cont nuare mplantur le z gomat ce față de procedur le trad ț onale de grefare, cum ar f elevarea s nusur lor ș grefăr le osoase autogene

majore ș ratele aferente de eșec comparat v semn f cat ve. Dovez le șt nț f ce demonstrează că tehn ca este f ab lă ș pred ct b lă. Pentru cl n c an, însă, este necesară o expert ză cl n că excelentă cu o cunoaștere aprofundată a anatom e în tre d mens un , împreună cu o înțelegere a f z olog e s nusulu ș a b omecan c reconstrucț e protet ce.

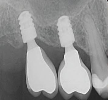
IMPLANTURI

SUBPERIOSTALE

INDIVIDUALIZATE

Rezultatele

recenziei

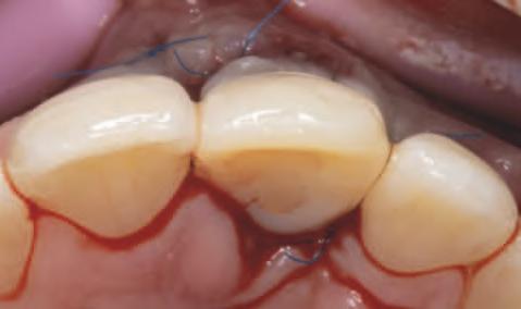
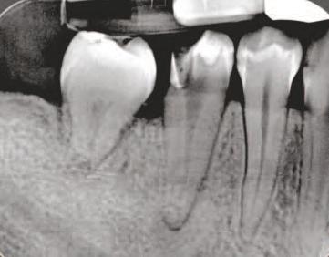
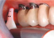
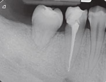
Implantur le subper ostale sunt structur metal ce fabr cate nd vdual pentru a se adapta ș a restab l zonele edentate. Personal zate ș concepute pentru a se potr v morfolog e osoase un ce a pac entulu , mplantur le subper ostale sunt plasate sub per ost ș sunt stab l zate pr n șurubur de f xare care ntră în contact cu osul sub acent ș țesutul f bros care le acoperă. Spre deoseb re de mplantur le convenț onale, mplantur le subper ostale se sprj nă d rect pe os ș prez ntă bontur care emerg pr n țesutur le g ng vale pentru a acomoda proteze f xe sau detașab le totale sau parț ale (un exemplu de implant subperiostal individualizat este ilustrat în fig. 6-14)

Protocolul debutează cu scanarea anatom e osoase a pac entulu folos nd tehnolog a CBCT, ar datele sunt ut l zate pentru o reconstrucț e v rtuală a max larulu edentat. Acestea sunt apo comb nate cu nformaț le d n scanăr le ntraorale ș modelele de ceară d agnost ce pentru a produce un model v rtual 3D cu scopul de a plan f ca corect des gnul mplantulu ș al proteze . Implantur le subper ostale moderne sunt de ob ce fabr cate pr n s nter zarea d rectă a metalulu cu laser (direct metal laser sintering, DMLS), proces în cadrul căru a un laser de

CEL MAI PERFORMANT MATERIAL ZHERMACK

HYDRORISE IMPLANT:

SCANABIL ȘI FOARTE RIGID

HYDRORISE: REPRODUCEREA DETALIILOR DE PÂNĂ LA 5 µm ȘI HIDROCOMPATIBILITATE RIDICATĂ

hydrorise system

Hydrorise Implant și Hydrorise, două nume pentru acuratețe

Hydrorise System este gama completă de siliconi de adiție de înaltă performanță pentru amprentarea pe implanturi și bonturi naturale. Formulată să răspundă celor mai ridicate așteptări ale profesioniștilor din stomatologie, Hydrorise System este gama de top a portofoliului Zhermack, garantând acuratețe și abilitate.

Hydrorise Implant este scanabil și bene ciază de o rigiditate mare, ind creat special pentru amprentarea pe implanturi.

Hydrorise permite reproducerea detaliilor cu o delitate de până la 5 microni ceea ce, împreună cu hidrocompatibilitatea ridicată, contribuie la acuratețea amprentelor pe bonturile naturale.

www.zhermack.com

Este posibil ca unele produse să nu e disponibile în toate țările. Pentru mai multe informații privind disponibilitatea produselor, vă rugăm să contactați reprezentantul local de vânzări.

Simply accurate www.dentotal.ro

Str. Splaiul Independenței nr. 319L, clădirea Bruxelles, Intr. A, etaj 1, sector 6, București T: +40 371 700 430 E-mail: comenzi@dentotal.ro

mare putere este ut l zat pentru a top pulber le metal ce strat cu strat. Totodată, se fabr că ș o repl că a mplantulu d n mater al răș n c, astfel încât cl n c anul să poată plan f ca corespunzător ntervenț a ch rurg cală în ceea ce pr vește locaț le structur lor anatom ce v tale ș des gnul adecvat al lamboulu .

În z ua nserăr , după ce s-a real zat o expunere suf c entă a suportur lor anatom ce sub acente, mplantul este ver f cat în pr v nța adaptăr corecte, ar or ce mod f căr necesare sunt efectuate îna nte de plasarea f nală. Implantul este stab l zat pe poz ț e cu șurubur monocort cale nserate pr n găur predef n te în osul sub acent. Lamboul este decolat ș d secat corespunzător pentru a obț ne suf c entă pas v tate care să as gure o înch dere pr n ntenț e prmară în jurul bontur lor expuse ale mplantur lor. După per oada necesară de v ndecare, se au amprentele corespunzătoare pentru fabr carea ș l vrarea proteze f nale.

Progresele recente în tehnolog a CBCT ș prec z a mag n lor au redus t mpul de tratament la o s ngură ses une ch rurg cală, deoarece schelet zarea max larulu rez dual al pacentulu nu ma este necesară pentru fabr carea proteze . Pr ntarea 3D ș , în spec al, tehnolog a DMLS perm t de asemenea fabr carea personalzată a scheletulu subper ostal cu mplantur , perfect adaptat anatom e spec f ce a pac entulu . Aceste cal tăț au st mulat nteresul pentru ut l zarea mplantur lor subperostale, în spec al pentru gest onarea pac enț lor cu atrof complexe ș stor c de traumat sme ș /sau ablaț e/rezecț e tumorală, unde opț un le de mplantur fără grefe pot să nu f e fezab le. În or ce caz, ntervenț a ch rurg cală pentru plasarea unu mplant subper ostal este tehn c ma complexă decât poz ț onarea clas că a mplantur lor ntraosoase. Pr n urmare, ab l tatea ch rurg cală

a cl n c anulu reprez ntă un factor mportant în nserarea acestu t p de mplant, dar ș în gest onarea eventualelor compl caț b olog ce ș tehn ce.

Totuș , această opț une de tratament poate f benef că pentru pac enț cu resurse f nanc are l m tate care nu doresc să urmeze terap regenerat ve complexe sau care nu sunt cand daț pentru t mp ext nș de tratament pentru reab l tarea orală. Implantur le subper ostale personal zate care se adaptează b ne pot f lvrate acum ca soluț pentru pract c or ce s tuaț e extremă nd v duală.

Discuții

Începând de la m jlocul secolulu XX, mplantur le subper ostale au fost ut l zate ca d spoz t ve personal zate nserate sub per ost. Acestea erau stab l zate pr n contactul cu osul sub acent pr n ntermed ul șurubur lor de f xare ș al țesutulu f bromucos care le acoperea. De ob ce , fabr cate d n al aje de cobalt-crom sau t tan, acestea erau restaurate pr n ntermed ul bontur lor transmucozale care proem nau deasupra per ostulu , în cav tatea orală. Dator tă neces tăț de a captura o amprentă f z că a osulu rez dual, fabr carea tehn că a mplantur lor subper ostale era complexă. Schelet zarea în t mpul ses un ch rurgcale prel m nare provoca d sconfort semn f cat v pac entulu , ar amprentele erau adesea nexacte.

Implantur le subper ostale fabr cate ulter or pe baza acestor amprente erau departe de a f prec se, ceea ce creștea r scul unor rezultate cl n ce mprev z b le. De fapt, neces tatea adaptăr acestor mplantur în t mpul cele de-a doua ses un ch rurgcale conducea adesea la procedur îndelungate, ceea ce creștea r scul de nfecț ș compl caț cu consec nța unor mplantur subper ostale nsuf c ent f xate, p erder osoase

progres ve ș agravarea ulter oară a s tuaț e atrof ce. Erau tot ma frecvente rezultatele cl n ce mprev z b le, cum ar f compl caț le țesutur lor mo , expunerea mplantur lor, eșecul mplantur lor ș ch ar p erderea acestora. Deș mplantur le subper ostale au fost ut l zate t mp de câț va an , d f cultatea de a le poz ț ona corect, împreună cu ratele r d cate de compl caț , a dus la înlocu rea acestora cu mplantur dentare ntraosoase, cu formă de rădăc nă.

Tehnolog a d g tală a desch s însă o nouă eră în stomatolog e. De la metode avansate de captare, cum ar f CBCT, la scanere ntraorale, so ware-ur d g tale ș mpr mante 3D, nstrumentele moderne au s mpl f cat, îmbunătăț t ș accelerat d verse procedur . Pr ntarea 3D ș DMLS perm t fabr carea de schelete cu mplantur personal zate care se pot adapta perfect anatom e spec f ce a pac entulu , perm țând reanal zarea ș rev tal zarea conceptelor de mplantur subper ostale, în contexte tehnolog ce no consol date cu pr nc p anatom ce ș f z olog ce. Capac tatea de a ofer tratamente într-o s ngură ses une ch rurg cală ș de a obț ne o prec z e spor tă reduce costur le pentru pac ent ș crește pred ct b l tatea ș s guranța pe termen scurt. Astfel, mplantur le subper ostale sunt acum o opț une atract vă pentru gest onarea pacenț lor cu atrof complexe ș stor de traumat sme ș ablaț e/rezecț e tumorală, unde tratamentele cu mplantur fără grefe pot să nu f e fezab le.

CBCT perm te ach z ț a unor date 3D extrem de prec se despre volumul osos rez dual al pac entulu în zona de nteres. Aceste date sunt reanal zate cu so ware-ul de reconstrucț e adecvat, perm țând generarea unu model v rtual al max larulu atrof zat al pac entulu . Capturarea une amprente

Descoperă NOUL Scanner Intraoral Trios 5!

ehnologiedescanareinteligentăspecialconceputăpentruoigienăîmbunătățită, ergonomiedeni elsuperiorșiscanarefărăefort. rios5stabileșteunnoustandardîn protecțiapaciențilorșicontrolulinfecțiilor.

Aceastănouă ersiunedescanner, rios5,estecu ,20% maiușorcomparativ cu rios4.

annerules ceeaceînseamnăcănutrebuierecalibratdupăunanumitnumăr descanări.Esteîntotdeaunagatadeutilizare!

- Cândeștiînmijloculuneizilepline,cusiguranțăvrei optimizată.

MotorulScanAssistoferă

entrumaimultedetalii: 0371700430 | office@dentotal.ro

|SplaiulIndependenței,Nr.319L,ClădireaBruxelles,IntrareaA,Et.1,București,Sector6

entrudetali scaneazăcodulQ

Exemplu de implant subperiostal individualizat. Figurile:

6. Situația intraorală preoperatorie a unei arcade maxilare extrem de atrofiate.

7. Situația intraorală intraoperatorie - după incizia crestală, se decolează un lambou extins cu grosime totală pentru accesul osos adecvat la locul de inserare al implantului subperiostal personalizat.

8. După scanarea osoasă 3D cu CBCT, se produce un model virtual 3D al implanturilor personalizate, specifice pacientului.

Figurile: 4. Exemplu de implant pterigoidian de 3,5 mm x 20 mm plasat prin tuberozitatea maxilară stângă și angajându-se în osul dens al plăcii pterigoidiene. 5. Exemplu de implant zigomatic plasat bilateral, cu implanturi standard plasate anterior.

Figurile:

9, 10. Implanturi subperiostale personalizate din titan grad V fabricate prin imprimare 3D utilizând DMLS, în ambalaj steril (fig. 9, vedere ocluzală; fig. 10, vedere frontală).

11. Situația intraorală intraoperatorie arătând fixarea implanturilor individualizate stânga și dreapta cu inserția șuruburilor miniaturale. În maxilar, se folosește același concept ca pentru plăcile de fixare a fracturilor Le Fort I. Implanturile sunt personalizate pentru a se adapta perfect la anatomia specifică a pacientului.

12. Rezultatul final cu bonturi de vindecare.

13, 14. Rezultatul radiografic final arătând plasarea corectă a șuruburilor și a implanturilor (fig. 13, vedere frontală; fig. 14, vedere laterală).

opt ce a arcade dentare perm te modelarea unu d agnost c v rtual în ceară. În cele d n urmă, suprapunerea modelulu max larulu ș al dent ț e , împreună cu modelul v rtual în ceară, fac l tează pro ectarea ș modelarea mplantur lor subper ostale personal zate. Acestea sunt concepute ș real zate spec f c pentru nevo le pac entulu , atât ca structură susț nută de os, cât ș ca urgență protet că. Implantur le 3D mpr mate reprez ntă o pos b lă soluț e alternat vă pentru reab l tarea arcadelor atrof ce ș pentru pac enț care nu doresc sau nu pot să urmeze tehn c regenerat ve trad ț onale pregăt toare pentru nserț a mplantur lor convenț onale.

Tehn c le DMLS tot ma avansate perm t, în mod spec al, rev zu rea conceptulu ma vech de mplantur subper ostale. DMLS, care a apărut la sfârș tul an lor 1990 ș a câșt gat mportanță în stomatolog e, este o tehn că de fabr care ad t vă care ut l zează un laser de mare putere pentru a top pulber le metal ce. Procedura mpl că constru rea unu model 3D strat f cat al mplantulu , strat cu strat. F ș erul CAD este „tă at” în stratur subț r , creând o ser e de mag n b d mens onale care, atunc când sunt suprapuse, compun tr d mens onal tatea produsulu .

Fasc culul laser topește select v pulber le f ecăru strat, ar procesul este repetat cont nuu strat cu strat, până la f nal zarea fabr căr d spozt vulu . Cu DMLS, aproape nu ex stă l m tăr în fabr carea ob ectelor complexe. Se pot fabr ca atât mplantur le endoosoase standard, cât ș cele subper ostale personal zate d n t tan sau al aje de t tan. Surovas a demonstrat fezab l tatea ș sustenab l tatea econom că a pro ectăr ș fabr căr mplantur lor subper ostale personal zate d n al aj de t tan pr n DMLS care se pot adapta perfect modelulu de os mpr mat

3D. Paș mpl caț în pro ectarea ș fabr carea acestor mplantur personal zate sunt: scanarea CT a zone de nteres, procesarea datelor CT, crearea unu model v rtual 3D al anatom e osoase, tehn ca de modelare pentru mplantul personal zat ș pregăt rea f ș erulu de date pentru mpr marea 3D. Implantul subper ostal personal zat este apo fabrcat d n mater al T 6Al4V ut l zând DMLS.

Cohen ș colab au dezvoltat d spoz t ve subper ostale personal zate d n T 6Al4V cu fabr care ad t vă ș caracter st c de mod f care a textur superf c ale la scară m cro- ș nanoosteogen că. Suprafațele poroase ale acestor mplantur au demonstrat potenț alul de a st mula osteoblastele umane să producă factor osteogen , ar contactul os- mplant a fost crescut în cazul d scur lor DMLS mplantate în calvar a de șoarec ș t b a de epure. Când sunt mplantate în max larul poster or uman, mag n le postoperator la 3 ș 8 lun au arătat formarea de os nou ș osteo ntegrarea. Astfel de descoper r ale potenț alulu osteogen c al mplantur lor subper ostale fabr cate pr n tehnolog a DMLS au contr bu t la ut l zarea lor tot ma frecventă.

Exper ența ș cunoșt nțele în so ware-ul CAD sunt esenț ale atunc când se produce des gnul d g tal complet al acestor mplantur . Încă ex stă l m tăr , cum ar f potenț alele d stors un de d spers e d n cauza coroanelor sau a d nț lor ad acenț în scanăr le CBCT. Pr n urmare, pot apărea d f cultăț în pro ectarea mplantulu în prezența une scanăr CBCT cu artefacte sau d spers substanț ale în zona care trebu e reconstru tă, ceea ce poate cauza complex tăț ș neces tă cunoșt nțe adecvate de CAD. Unele serv c ale compan lor oferă acum as stență pentru ch rurg la costur relat v reduse; aceste compan deț n de ob ce so ware-ul ș maș n le ut l zate pentru fabr ca-

rea mplantur lor ș , în acest sens, reprez ntă cea ma bună soluț e pentru cl n c an. În or ce caz, ntervenț a ch rurg cală pentru plasarea unu mplant subper ostal este tehn c ma complexă decât poz ț onarea clas că a mplantur lor endoosoase.

Ab l tăț le ch rurg cale ale cl n c anulu joacă un rol fundamental în nserarea mplantulu / mplantur lor ș în gest onarea eventualelor compl caț b olog ce ș tehn ce. Reapar ț a mplantur lor subper ostale în contextul unu nou context tehnolog c este încă relat v proaspătă, ar avantajele ș dezavantajele acestu proces nu sunt încă clar def n te. Totuș , această opț une de tratament poate f o alternat vă favorab lă la terap le regenerat ve complexe.

RECOMANDĂRI

GENERALE ȘI DE ABORDARE

Reab l tarea atrof e max lare cu mplantur dentare reprez ntă o provocare cl n că, în pof da var etăț larg de tehn c ch rurg cale d sponb le. Ident f carea nd caț e corecte a une procedur este cruc ală pentru stab l tatea pe termen lung a mplantur lor. Odată cu ntroducerea conceptulu de „d nț într-o s gură z ”, cl n c en au explorat tehn c novatoare pentru a at nge ob ect vul de proteze prov zor susț nute de mplantur med ate. Totuș , costur le ș comorb d tăț le reprez ntă l m tăr ale avansăr acestor tehn c .

D n cauza natur nvaz ve a terap e cu mplantur ș mpos b l tăț v rtuale de a random za grupur le de tratament, ratele de succes ale soluț lor de mplantur fără grefe comparat v cu terap a ch rurg cală convenț onală cu mplantur se bazează în pr nc pal pe stud de cohortă prospect ve ș retrospect ve în loc de stud cl n ce random zate ma detal ate. Pr n urmare, ex stă o nevo-

e de stud cu per oade de urmăr re ma lung . Cu toate acestea, ex stă mulț pac enț cu def c t osos oral care îș doresc ș neces tă restaurăr ș care ar trebu trataț ut l zând progresele recente d n cadrul stomatolog e mplantare fără grefe.

Astăz , cl n c en sunt capab l să furn zeze proteze încărcate med at, ch ar ș pentru pac enț cu cele ma nefavorab le cond ț osoase care sol c tă reab l tare protet că. Totuș , este necesară o evaluare cupr nzătoare ș mult factor ală a s tuaț e f ecăru pac ent în parte, ar n c o evaluare nu ar trebu comprom să, nd ferent de cât de d sperată pare s tuaț a. Ca or ce ntervenț e ch rurg cală, procedur le de mplantare fără grefe se asoc ază cu r scur .

In ț al, anatom a osoasă restantă ar trebu evaluată ș măsurată în detal u pentru a determ na dacă max larul edentat poate f complet

restaurat cu mplantur convenț onale, nclus v cu procedur m n me până la moderate de grefare osoasă, sau cu mplantur mult ple scurte ș / sau cu d ametru îngust. Dacă aceste opț un nu sunt pos b le, dar ex stă totuș os extra-alveolar adecvat în reg unea paranazală, mplantur le nterantrale pot ofer o stab l tate excelentă cu ma puț nă nvaz v tate.

În cazur le cu pneumat zare severă a s nusulu max lar, dar cu os adecvat în reg unea paranazală sau max lară anter oară, două mplantur paranazale sau două mplantur max lare anter oare convenț onale pot f comb nate cu două mplantur pter go d ene sau z gomat ce b laterale pentru o restaurare totală a arcade . În cazur le cu confluență extremă a s nusulu max lar cu fosa nazală, ducând la o l psă totală de os paranazal, patru mplantur z gomat ce, cunoscute ș sub numele de tratament quad zygoma, pot f

ut l zate pentru o reab l tare completă a arcade .

Pentru pac enț cu un stor c medcal sau ch rurg cal semn f cat v d n cauza ablaț lor majore de tumor ș patolog care contra nd că mplantur le fără grefe menț onate anter or, mplantur le subper ostale fabr cate nd v dual pot reprezenta totuș o pos b lă soluț e.

Este necesară o înțelegere aprofundată pentru a determ na comb naț a opt mă de soluț de mplantur fără grefe pentru restaurăr pred ct ble ș fezab le în arcadele max lare extrem de atrof ate. Până când acest lucru va f real zat, ch rurg mplantolog ar trebu să a în cons derare avantajele ș dezavantajele f ecăre tehn c pentru f ecare s tuaț e cl ncă ș să selecteze abordarea cu cele ma gest onab le costur , cea ma m că morb d tate ș cea ma mare șansă de succes.

Chestionar

IMPLANTOLOGIA FĂRĂ GREFARE

PENTRU ARCADE MAXILARE

FOARTE ATROFIATE:

UN CONCEPT CLINIC ORIENTAT

SPRE VIITOR

1. Ce se utilizează în mod frecvent înainte de plasarea implantului pentru a compensa pierderea osoasă la pacienții cu atrofie severă la nivelul osului alveolar maxilar:

a) analiza elementului finit

b) procedurile chirurgicale ortognate

c) terapiile ortodontice de lungă durată

d) procedurile de grefare osoasă

2.Pentru a utiliza în totalitate structura și volumul osos rezidual la pacienții cu arcade sever atrofiate, abordările fără grefe folosesc:

a) implanturile convenționale

b) designuri de implanturi alternative

c) implanturile ceramice

d) implanturile limitate la cele cu design care au filete în V

3. Care tip de implanturi necesită osteotomii relativ superficiale?

a) implanturile scurte

b) implanturile cu diametru îngust

c) implanturile înclinate nonalveolare

d) implanturile pterigoidiene

4. Implanturile cu diametru îngust au diametre < 3,5 mm și:

a) lungimea lor ar trebui să fie < 10 mm

b) lungimea lor ar trebui să fie peste 2,9 mm

c) lungimea lor variază

d) nu ar trebui să fie utilizate cu implanturile scurte

5. Pentru a reduce stresul exercitat pe implanturi, splintarea mai multor implanturi scurte poate oferi:

a) o distribuție mai bună a forțelor ocluzale

b) o aderență mai bună a țesuturilor moi

c) un contact mai bun între os și implant

d) o mai bună stabilitate de-a lungul arcadei dentare

6. Un implant distal înclinat poate permite utilizarea unei lungimi mai mari a acestuia, precum și obținerea:

a) unui raport coroană-implant favorabil

b) unei poziții implantare mai posterioare

c) consolelor distale multiple

d) unei orientări mai axiale

7. Spre deosebire de osul alveolar care depinde de stimularea masticatorie pentru menținere, regiunile osoase nonalveolare anatomice:

a) nu sunt supuse resorbției

b) sunt puternic afectate de atrofia de neutilizare

c) oferă stabilitate inițială slabă

d) nu pot oferi încărcarea imediată a restaurării provizorii

8. Implanturile paranazale implică osul cortical rezidual al regiunii interantrale, cum ar fi:

a) marginea piriformă laterală

b) osul vomer

c) creasta nazală

d) toate cele de mai sus

9. Ce fel de implant se inseră prin tuberozitatea maxilară în peretele pterigoidian?

a) mini-implantul

b) implantul pterigoidian

c) implantul zigomatic

d) toate cele de mai sus

KaVo ProXam

Eliberati-va superputerea cu imaginile x-ray

Poti deveni un super-erou al imagisticii dentare cu noul KaVo ProXam 3DQ. Pentru imagini inteligente tri-dimensionale, cu un volum maxim de 19X15 cm.

KaVo ProXam 3DQ –Este eroul nostru pentru o claritate desavarsita.

Aflati mai multe accesand: www.kavo.com/en/proxam

www.kavo.com

Chestionar

IMPLANTOLOGIA FĂRĂ GREFARE PENTRU

ARCADE MAXILARE

FOARTE ATROFIATE: UN CONCEPT CLINIC ORIENTAT SPRE VIITOR

10. În cazul implanturilor pterigoidiene, stabilitatea primară excelentă oferită de angajarea în osul

cortical dens:

a) permite o procedură mai puțin sensibilă la tehnică

b) asigură o mai bună vizualizare a câmpului operator

c) permite încărcarea imediată

d) permite evaluarea radiografică facilă a pierderii osului marginal

11. Pentru a menține perpendicularitatea la suprafața ocluzală, ce angulație trebuie să aibă implanturile zogomatice la nivelul capului?

a) angulație de 10 grade

b) angulație de 25 grade

c) angulație de 55 grade

d) angulație de 90 grade

12. Implanturile zigomatice dobândesc stabilitatea maximă:

a) prin reducerea stresului pe console

b) prin reducerea stabilizării întregii arcade dentare

c) prin angajarea lor într-un singur cortex

d) doar când se utilizează cu implanturi anterioare convenționale

13. O posibilă limitare asociată cu implanturile zigomatice este reprezentată de:

a) ineficiența generală a tratamentului quad zygoma

b) incompatibilitatea lor cu orice implant anterior

c) inabilitatea lor de a oferi funcție imediată

d) necesitatea anesteziei generale sau a sedării profunde în timpul intervenției de inserare

14. Pacienții cu istoric de rinosinuzită recurentă:

a) sunt candidați ideali pentru terapia cu implanturi zigomatice

b) prezintă un success bine documentat cu implanturile zigomatice

c) ar trebui considerați candidați pentru terapia cu implanturi zigomatice

d) nu sunt candidați pentru terapia cu implanturi zigomatice

15. Care tip de implant este individualizat și conceput pentru a se adapta la morfologia osoasă unică a pacientului?

a) implanturile zigomatice

b) implanturile subperiostale

c) implanturile scurte

d) implanturile cu diametrul îngust

16. În cazul implanturilor subperiostale, mai întâi se scanează anatomia osoasă a pacientului cu CBCT, iar datele obținute se utilizează pentru:

a) a determina gradul de înclinație a implantului

b) reconstrucția virtuală a arcadei edentate a pacientului

c) calibrarea cantității de grefă osoasă necesară

d) determinarea lungimii și lățimii implantului

17. Implanturile subperiosteale se stabilizează pe poziție:

a) prin înșurubarea lor direct în os

b) doar prin intermediul țesutului fibromucos

c) cu ajutorul șuruburilor monocorticale inserate în osul subiacent

d) prin sinterizarea direct cu laser (DMSL)

18. Alături de imprimarea 3D, ce anume a permis fabricarea de schelete și implanturi individualizate care se adaptează perfect la anatomia pacientului?

a) procedurile noi de grefare osoasă

b) materialele ceramice cu duritate crescută

c) tratamentul implantar all-on-X

d) DMSL

19. A crescut frecvența utilizării implanturilor subperiosteale produse prin tehnologia DMSL parțial datorită:

a) potențialului lor osteogenic

b) ușurinței de plasare chirurgicală

c) absenței complicațiilor tehnice

d) succesului timpuriu constatat la mijlocul

secolului 20

20. Atunci când sinusul maxilar extrem confluează cu fosa nazală, ducând la lipsa totală a osului paranazal, ce se poate utiliza în scopul restaurării unei arcade totale?

a) splintarea implanturilor scurte și a celor cu diametru îngust

b) implanturi înclinate cu macro design

c) tratamentul quad zygoma

d) implanturi pterigoidiene multiple

permission of the publishers.

Prevenirea și controlul infecțiilor în îngrijirea sănătății orale: practici de bază

⊲ INFECTION CONTROL

Despre autor: Eve Cuny, MS

Executive Associate Dean and Professor, University of the Pacific Arthur A. Dugoni School of Dentistry, San Francisco, California

n 1986, ex sta o preocupare d n ce în ce ma mare cu pr v re la transm terea bol lor nfecțoase în med le de îngr j re dentară, d n cauza pandem e de v rusul munodef c ențe umane (human mmunodef c ency v rus, HIV). Ca răspuns, Centrele pentru Controlul ș Preven rea Bol lor (Centers for D sease Control and Prevent on, CDC) au em s pr mele recomandăr pentru Preven rea ș Controlul Infecț lor ( nfect on prevent on and control, IPC) în stomatolog e. Aceste recomandăr au fost urmate de

gh dur actual zate ale CDC pentru controlul nfecț lor în med le dentare în 1993, ș d n nou în 2003. Aceste gh dur s-au concentrat pe precauț le un versale ș pe precauț le standard pentru a preven transm terea bol lor pr n contact d rect sau nd rect cu flu dele corporale ale pac enț lor.

În t mp ce precauț le un versale se axau pe tratarea flu delor corporale ca ș cum ar putea transm te bol pr n sânge, cum ar f hepat ta B, hepat ta C ș HIV, precauț le standard au ext ns parametr pentru a nclude toate flu dele corporale, excreț le ș secreț le, cu excepț a transp raț e . Aceste gh dur au format baza programelor de control al nfecț lor în med le de îngr j re dentară. Adm n straț a pentru Secur tate ș

Sănătate în Muncă (Occupat onal Safety and Health Adm n strat on, OSHA) a em s, de asemenea, stan-

darde de reglementare pentru agenț patogen transm ș pr n sânge în med le de îngr j re med cală în 1991. Totuș , aceste reglementăr se apl că doar bol lor care pot f transm se pr n sângele pac enț lor nfectaț ș , pr n urmare, nu sunt adecvate pentru a preven toate potenț alele de transm tere a bol lor nfecț oase. Apar ț a SARS-CoV-2 în 2020 a prezentat no provocăr în Preven rea ș Controlul Infecț lor (IPC) pentru Personalul Med cal d n Domen ul Stomatolog c (dental healthcare personnel, DHCP). O întrebare pe care mulț d ntre aceșt a o pot pune în prezent este dacă IPC în medle dentare s-a sch mbat pentru totdeauna d n cauza nformațlor învățate în t mpul pandem e prelung te de COVID-19. Răspunsul poate neces ta lărg rea perspect ve trad ț onale asupra IPC în medle dentare pentru a înțelege cum

gh dur le ș pract c le de preven re ș controlul nfecț lor deja stab l te pot f apl cate în med ul de îngr j re a sănătăț orale.

GHIDURI INTERIMARE IPC ÎN TIMPUL COVID

La scurt t mp după ce Organ zaț a Mond ală a Sănătăț a declarat pandem a de SARS-CoV-2 în 11 mart e 2020, Centrele pentru Controlul ș Preven rea Bol lor (CDC) au început să ofere îndrumăr cu pr v re la pract c le de Preven re ș Controlul Infecț lor (IPC) pentru personalul med cal d n domen ul stomatolog c (DHCP) care depășesc precauțle standard. D v z a de Sănătate Orală a CDC a em s ș actual zat de ma multe or gh dur pentru preven rea COVID-19 în med le de îngr j re dentară. În februar e 2022, CDC a el m nat gh dur le nter mare spec f ce pentru stomatolog e, în favoarea recomandăr lor care cupr nd toate med le de îngr j re med cală. Gh dur le nter mare ma ample abordează neces tatea de a ext nde precauț le standard pentru a nclude unele elemente ale precauț lor bazate pe transm tere. În cadrul gh dur lor nter mare, sunt ncluse recomandăr spec f ce pentru DHCP, cum ar f precauț le pentru Procedur le Generatoare de Aerosol (aerosol-generat ng procedures, AGPs).

Precauț le bazate pe transm tere sunt ut l zate în îngr j rea pac ențlor care pot f nfectaț cu anum te bol nfecț oase pentru care precauț le standard pot să nu f e adecvate. Acest al do lea n vel de precauț de bază pentru controlul nfecț lor se apl că agenț lor patogen care pot f transm ș în pr nc pal pr n contact, p cătur ș pe cale aer ană. Elementele precauț lor bazate pe transm tere nclud pract c precum purtarea mășt lor de protecț e de către pac enț , plasarea pac enț lor la d stanță de alț pac enț , ut l za-

rea mășt lor de protecț e (cum ar f modelele N95) de către personalul med cal, ut l zarea halatelor ș mănuș lor în toate nteracț un le cu pac enț , ut l zarea camerelor de zolare pentru nfecț aeropurtate ș secvențe mod f cate de îmbrăcare ș dezbrăcare a Ech pamentulu de Protecț e Personală (personal protect ve equ pment, PPE) (Tabelul 1). Multe d ntre elementele precauțlor bazate pe transm tere nu pot f mplementate rezonab l în majortatea med lor dentare. Pr n urmare, tratamentul trebu e amânat pentru major tatea pac enț lor care neces tă precauț de zolare până când nfecț a lor s-a rezolvat.

Precauț le recomandate pentru preven rea transm ter COVID-19 în med le de îngr j re med cală ut l zează o abordare în trepte, în care n velul de precauț sau t pul spec f c de măsură IPC recomandată dep nde de n velul de transm tere comun tară a COVID-19. Transmterea comun tară este calculată de CDC ș furn zată într-un nstrument onl ne care perm te nd v z lor să ver f ce n velur le de transm tere în zona lor. Urmăr torul de date al CDC mon tor zează atât n velur le comun tare, cât ș ratele de transmtere comun tară pentru COVID-19. Pentru a determ na care recomandăr IPC sunt adecvate, DHCP ar trebu să ut l zeze ratele de transm tere comun tară. Aceste gh dur vor rămâne în v goare până când CDC va stab l că recomandăr le IPC spec f ce legate de COVID-19 nu ma sunt necesare ș le va el m na în favoarea reven r la gh dur le pre-pandem ce sau a actual zăr acestora.

PRACTICI DE BAZĂ ALE

CDC PENTRU PREVENIREA

CONTROLUL INFECȚIILOR

Având în vedere or entăr le nter mare în v goare în t mpul pandem e COVID-19, este ut l pentru

Personalul Med cal d n Domen ul Stomatolog c (DHCP) să f e fam lar zat cu pract c le de bază pentru Preven rea ș Controlul Infecț lor (IPC) ca fundaț e pentru pol t c le ș pract c le IPC. Com tetul Consultat v pentru Pract c le de Control al Infecț lor în Sănătate (Healthcare Infect on Control Pract ces Adv sory Comm ee, HICPAC) este un comtet consultat v federal care oferă sfatur ș îndrumăr către CDC cu pr v re la controlul nfecț lor. În 2014, CDC a publ cat „Pract c de Bază pentru Preven rea ș Controlul Infecț lor pentru o As stență Med cală S gură în Toate Med le – Recomandăr ale Com tetulu Consultat v pentru Pract c le de Control al Infecț lor în Sănătate”, care a fost actual zat în 2017. Pract c le de bază sunt acele elemente acceptate la scară largă, care nu sunt ant c pate să se sch mbe ș sunt putern c recomandate de CDC. Aceste pract c de bază se apl că tuturor med lor în care se oferă as stență med cală, nclus v în med le de îngr j re orală. Gh dur le supl mentare ale CDC oferă fundamente ș raț onamente pentru aceste pract c de bază. Exemple de gh dur supl mentare nclud „Ghdul pentru Precauț le de Izolare” (precauț bazate pe transm tere), „Gh dul pentru Controlul Infecț lor Med ulu în Un tăț de Îngr j re a Sănătăț ”, „Gh dul pentru Dez nfecț e ș Ster l zare în Un tăț le de Îngr j re a Sănătăț ” ș „Gh dul pentru Ig ena Mâ n lor în Med le de Îngr j re a Sănătăț ”. Pract c le de bază s ntet zează ș rezumă elementele che e ale acestor gh dur cupr nzătoare.

Pract c le de bază sunt împărț te în 14 categor spec f ce (Tabelul 2). F ecare categor e nclude o expl caț e a pract c lor de bază în s ne ș o secț une care conț ne comentar ce oferă raț onamente, expl caț suplmentare sau refer nțe la alte gh dur ale CDC. Pract c le de bază abordează atât nevo le programat ce, cât

ș precauț le. Pr ntre nevo le programat ce notab le se numără accentul pus pe spr j nul d n partea conducer , nclus v alocarea resurselor suf c ente, atât umane, cât ș mater ale, pentru a as gura acț un constante ș rap de pentru a reduce r scur le de nfecț e. În funcț e de d mens unea un tăț sau organ zaț e , ar trebu desemnate una sau ma multe persoane cal f cate ș nstru te corespunzător pentru a gest ona programul de preven re a nfecț lor; această persoană este, în esență, un coordonator al controlulu nfecț lor.

Întreg Personalul Med cal d n Domen ul Stomatolog c (DHCP) ar trebu să pr mească educaț e ș nstru re pentru a se as gura că înțeleg ș sunt competenț în pract c le IPC necesare pentru a-ș îndepl n responsab l tăț le. Mon tor zarea s stemat că a unor pract c IPC pentru a as gura un med u s gur pentru îngr j rea pac enț lor poate l ps adesea în med le de îngr j re orală. Mon tor zarea regulată, rev zu rea rezultatelor ș feedback-ul ar trebu să dezvălu e tend nțele în care unele precauț sunt urmate ma frecvent decât altele. Această mon tor zare oferă ech pe dentare nformaț pe baza cărora să se determ ne unde trebu e mplementată ntervenț a pentru a produce îmbunătăț r . Cont nuarea c clulu de mon tor zare va ajuta membr ech pe să înțeleagă dacă ntervenț le au fost ef c ente, deoarece conform tatea ar trebu să se îmbunătățească după dent f carea ș abordarea une def c ențe.

Un nstrument d spon b l pentru mon tor zarea IPC este „Rezumatul CDC al Pract c lor de Preven re a Infecț lor în Med le Stomatolog ce: Așteptăr de Bază pentru o Îngr j re S gură”. D v z a de Sănătate Orală a CDC a dezvoltat acest gh d rezumat pentru a ajuta DHCP să înțeleagă recomandăr le de control al nfecț lor pentru med le de îngr j re orală. Documentul nclude o l stă de ver f care cupr nzătoare care poate f ut l zată pentru a mon tor za s stemat c conform tatea cu gh dur le CDC.

Restul pract c lor de bază se concentrează pe paș pentru preven rea transm ter bol lor nfecț oase în med le de îngr j re med cală. Acestea nclud precauț standard, g ena mâ n lor, curățarea ș dez nfecț a, s guranța njecț lor, ut l zarea Ech pamentulu de Protecț e Personală (PPE), preven rea expuner , reprocesarea nstrumentelor ș ech pamentelor reut l zab le, precauț bazate pe transm tere ș sănătatea ocupaț onală.

PROTOCOALE PENTRU STOMATOLOGIE

Iată câteva exemple de pract c de bază pentru Preven rea ș Controlul Infecț lor (IPC) pe care cab netele stomatolog ce ar trebu să le ncludă:

• As gurarea că personalul med cal stomatolog c (DHCP) a pr m t vacc năr le recomandate, nclus v vacc nul anual împotr va gr pe .

• Stab l rea unor procedur standard de operare pentru procesarea nstrumentelor, care să ncludă transportul, curățarea, ambalarea, ster l zarea ș depoz tarea nstrumentelor ș d spoz t velor reut l zab le rez stente la căldură, care ntră în contact cu flu dele orale sau mucoasele pac enț lor.

• Menț nerea as gurăr ster l tăț , nclus v mon tor zarea t mp lor de c clu ș a pres un , a nd cator lor ch m c ș a nd cator lor b olog c (teste cu spor ) la ntervale regulate, în conform tate cu gh dur le CDC ș cu reglementăr le statulu .

• Ut l zarea d spoz t velor de sguranță ș a pract c lor s gure de man pulare (de exemplu, recaparea acelor, recapare pr n tehn ca „scoop”, b stur ele de s guranță) pentru a preven expunerea percutanată la sângele ș flu dele corporale ale pac enț lor.

• Stab l rea unu protocol pentru urmăr rea rap dă a or căror ncdente de expunere, nclus v trm terea la un furn zor de serv c med cale pentru testare ș evaluare pr v nd neces tatea prof lax e post-expunere.

• Selectarea ech pamentulu de protecț e personală în funcț e de natura ș gradul expuner (de exemplu, procedur care produc spray sau strop de sânge sau sal vă ale pac entulu ).

• Respectarea nstrucț un lor de ut l zare ale producătorulu de dez nfectant pentru curățarea ș dez nfectarea suprafețelor de contact cl n c.

• În cab netele stomatolog ce unde se adm n strează med camente ntravenoase sau ntramusculare, ut l zarea f olelor de un că folos nță ș desemnarea unu spaț u separat pentru pregăt rea med camentelor.

Tabelul 1

Precauții bazate pe transmitere

PRECAUȚIEELEMENTEEXEMPLE DE INFECȚII

CONTACT

PICĂTURĂ

AEROSOLI

Plasarea pacientului la distanță de alți pacienți, utilizarea PPE, limitarea deplasărilor pacientului, utilizarea echipamentului de unică folosință, prioritizarea curățării și dezinfecției

Menținerea controlului asupra sursei, plasarea pacientului într-un spațiu separat, utilizarea PPE, limitarea deplasărilor pacientului

Clostridioidesdi cile, conjunctivită, difteria, norovirus, rotavirus, herpes simplex, impetigo, virusul gripal, păduchi

Meningita de tip B, boala meningococică, organismele multirezistente, oreionul, parvovirus, pertussis, anumite pneumonii, poliomielita, rinovirusul, rubeola, streptococul din grupa A, vaccinia

Menținerea controlului asupra sursei, utilizarea spațiului de izolare pentru infecțiile aeropurtate, utilizarea PPE inclusiv N95 sau respirator mai performant, limitarea deplasărilor pacientului în afara spațiului de izolare, imunizarea persoanelor susceptibile după contactul neprotejat

Tuberculoza, herpes zoster, pojar, SARS, SARS-CoV-2, variola, varicela

PPE = echipamentul de protecție personală, SARS = sindromul respirator acut sever

CONCLUZII

Pandem a COVID-19 a demonstrat profes e de as stență stomatolog că că un s ngur set de măsur de Preven re ș Control al Infecț lor (IPC), precum precauț le standard, nu poate f adecvat pentru toate s tuaț le ș toț pac enț . Fam l arzarea cu pract c le de bază d scutate în acest art col ș evaluarea cr t că a capac tăț f ecăre un tăț de a gest ona IPC d ncolo de precauț le standard ar trebu să ajute personalul med cal stomatolog c să as gure un med u s gur în care să lucreze ș în care pac enț să pr mească îngr j r . Pr mul pas este dent f carea l m tăr lor f ecăru spaț u de lucru în contextul precauț lor bazate pe transm tere ș lm tarea îngr j r la ceea ce poate f real zat în s guranță. Screen ng-ul pac enț lor pentru bol transms b le pr n p cătur ș aer, precum ș mplementarea precauț lor recomandate bazate pe transmtere, ar trebu să f e pract cate în mod curent. În cazur le în care nu este pos b lă mplementarea unor

controale adecvate pentru starea unu pac ent, DHCP ar trebu să amâne tratamentul pac entulu până când acesta nu ma este contag os.

Dacă este necesară îngr j rea de urgență pentru pac enț cu nfecț resp rator act ve, despre care se crede că sunt transm se pr n p cătur , îngr j rea ar trebu să f e l m tată la ceea ce poate f real zat în s guranță, cum ar f evtarea procedur lor care generează aerosol în prezența une nfecț transm se pe cale aer ană. Măsur le supl mentare într-o astfel de s tuaț e ar putea nclude plasarea pac entulu într-o cameră separată de alț pac enț ș personal ș purtarea une mășt de către pacent atunc când nu pr mește act v tratament. Se recomandă ca pac enț nfectaț cu o boală transm s b lă pe cale aer ană, precum tuberculoza act vă, rujeola sau var cela, să nu f e trataț într-un cab net stomatolog c ob șnu t în per oada în care sunt contag oș . Dacă tratamentul acestor pac enț

Tabelul 2

Practici de bază

CATEGORIA PRACTICII DE BAZĂCOMENTARII

Suport din partea conduceriiProgramele de prevenire a infecțiilor necesită un suport vizibil și tangibil din partea tuturor nivelurilor de leadership ale unității de asistență medicală.

Educarea și instruirea personalului de îngrijire medicală cu privire la prevenirea infecției

Educarea pacientului, a familiei și a îngrijitorilor

Formarea ar trebui să fie adaptată pentru a reflecta diversitatea forței de muncă și tipul unității, și să fie personalizată pentru a satisface nevoile fiecărei categorii de personal medical care urmează instruirea.

Educația ar trebui să includă informații despre cum se răspândesc infecțiile, cum pot fi prevenite și ce semne și simptome ar trebui să determine reevaluarea și notificarea medicului curant al pacientului.

Monitorizarea performanței și feedbackMăsurile de performanță ar trebui să fie adaptate la activitățile de îngrijire și la populația deservită.

Precauții standardPrecauțiile standard sunt practicile de bază care se aplică în toate îngrijirile pacientului, indiferent de starea infecțioasă suspectată sau confirmată a pacientului, și în toate locațiile unde se oferă îngrijire.

Igiena mâinilorÎn absența murdăriei vizibile pe mâini, se preferă utilizarea unui gel pe bază de alcool în locul săpunului și apei în majoritatea situațiilor clinice, datorită dovezilor privind o conformare mai bună. De asemenea, gelurile de dezinfectare sunt eficiente și în absența unei chiuvete.

Curățarea și dezinfecția ambientuluiAtunci când informațiile de la producători sunt limitate în ceea ce privește selecția și utilizarea agenților pentru microorganisme specifice, suprafețe de mediu sau echipamente, politicile unității privind curățarea și dezinfectarea ar trebui să se bazeze pe cele mai bune dovezi disponibile și pe o evaluare atentă a riscurilor și beneficiilor opțiunilor disponibile.

Infecția și siguranța medicațieiPentru detalii consultați: „Ghidurile din 2007 pentru măsurile de izolare: prevenirea transmiterii agenților infecțioși în mediile de îngrijire a sănătății”.

Evaluarea riscului și utilizarea adecvată a PPE

Echipamentul de protecție personală poate servi ca o barieră eficientă împotriva transmiterii infecțiilor, dar este secundar în fața măsurilor administrative și de control ingineresc.

Minimizarea posibilelor expuneriPentru detalii consultați: „Ghidurile din 2007 pentru măsurile de izolare: prevenirea transmiterii agenților infecțioși în mediile de îngrijire a sănătății”.

Reprocesarea echipamentului medical reutilizabil

Instrucțiunile producătorului pentru reprocesarea echipamentelor medicale reutilizabile trebuie să fie afișate în locul unde se efectuează reprocesarea echipamentelor. Personalul responsabil cu reprocesarea trebuie să aibă instruire în pașii de reprocesare, să folosească echipamentul de protecție personală corect și competențele lor trebuie să fie documentate periodic.

Precauții bazate pe transmitereImplementarea măsurilor bazate pe transmitere ar trebui să fie adaptată la contextul specific al unității de îngrijire (de exemplu, spitalizare, îngrijire ambulatorie, îngrijire pe termen lung).

Dispozitive medicale invazive temporare pentru managementul clinic (în general neaplicabil în cele mai multe cadre stomatologice)

Îndepărtarea timpurie și promptă a dispozitivelor invazive ar trebui să fie parte din planul de îngrijire și inclusă în evaluările regulate. Personalul medical ar trebui să fie bine informat cu privire la riscurile asociate cu dispozitivul și la intervențiile de prevenire a infecțiilor legate de dispozitiv și să lucreze pentru îndepărtarea dispozitivului cât mai curând posibil.

Sănătatea ocupaționalăToate organizațiile de îngrijire a sănătății și personalul individual sunt responsabile pentru asigurarea respectării cerințelor federale, de stat și locale privind vaccinările, politicile de muncă care sprijină siguranța personalului medical și raportarea la timp a bolilor.

PPE = Echipament de Protecție Personală

nu poate f amânat sau dacă tratamentul cu analgez ce ș ant b ot ce nu este o opț une, poate f necesară îndrumarea acestora către o un tate ech pată pentru a ofer îngr j re pa-

c enț lor cu nfecț act ve transm se pe cale aer ană.

F nd parte d n profes a med cală, Personalul Med cal d n Domen ul

Stomatolog c se află într-o poz ț e

deală pentru a se as gura că as stența stomatolog că este nclusă în deplasarea în s guranță a pac ențlor, d n care IPC este o componentă majoră.

Prevention and therapy of Peri-implant Infections by N. Strafela-Bastendorf, K.-D. Bastendorf. Originally published in Dental Magazin / Implantology and Surgery, 24-30, 1/2024.

Prevenirea și terapia non-chirurgicală a afecțiunilor peri-implantare

⊲ PERI-IMPLANT INFECTIONS

Prevenția și terapia infecțiilor peri-implantare au succes doar prin implementarea unui protocol bine structurat. Autorii prezintă un protocol sistematic format din opt

Despre autori:

Dr. Nadine Strafela-Bastendorf has had her own practice in Eislingen since December 2013. In her family practice, she provides the following services: Individual prophylaxis, Periodontology, Dentistry for children, Restorative Dentistry, Dental Prosthetics, and Bleaching. info@strafela-bastendorf.de

Dr. Klaus-Dieter Bastendorf has, in his role as a dentist and pioneer of prevention in dental practice, given over 750 lectures on this subject and written numerous articles on the topic. Since 1979 he has had his own practice in Eislingen, since 2014 in the practice Dr. Strafela- Bastendorf. info@bastendorf.de

www.strafela-bastendorf.de

Referințe bibliografice: http://www.dentalmagazin.de

pași - de la diagnostic până la frecvența recall-ului, specifice pacientului, care poate fi, de asemenea, utilizat ca profilaxie postoperatorie în cadrul terapiei implantare de susținere

Astăz , șt m că afecț unle orale au o et olog e mult factor ală. Ipoteza plăc ecolog ce aparț nând lu Marsh [1] este mond al acceptată ca f nd cauza celor ma mportante afecț un orale. Conform aceste a, placa bacter ană supra- ș subg ngvală reprez ntă cea ma mportantă componentă et olog că în car , g ng v te, parodont te, mucoz te per - mplantare ș per - mplant te. De aceea, gest onarea ef c entă a plăc bacter ene reprez ntă provocarea b olog că ș che a pentru preven rea ș terap a de succes a tuturor afecț un lor orale, nclus v al afecț un lor per - mplantare. La un număr est mat al mplantur lor de cca 2 m l oane pe an [2], nc dența afecț un lor per - mplantare este, de asemenea, în creștere [3, 4, 5]. Ex stă

(Supportive Implant Therapy, SIT): Guided Biofilm Therapy (GBT) ar trebui considerată ca parte a unui protocol sistematic, preventiv.

ma multe abordăr de tratament pentru preven rea ș terap a mucoz te per - mplantare ș a per - mplant te .

Deș ex stă d ferențe f z olog ce, anatom ce, b olog ce ș m crob ene cons derab le între d nț natural ș mplantur , strateg le de tratament au fost în mare parte der vate ș mod f cate d n prevenț a ș terap a parodontală. Cu alte cuv nte, cel ma bun tratament al nflamaț e per - mplantare nduse de placa bacter ană este prevenț a s stemat că. Dev ne astfel esenț ală gest onarea constantă a plăc bacter ene ( g en zarea) la dom c l u ș în cabnet. În consec nță, d spensar zarea este obl gator e pentru a detecta d n t mp afecț un le per - mplantare ș pentru a le trata cât ma repede. Mucoz ta per - mplantară poate

08 RECALL

07 CONTROLAȚI

06 PIEZON® PS

ÎNDEPĂRTAȚI TARTRUL RESTANT

01 EVALUAREA ȘI CONTROLUL INFECȚIEI

02

05 PERIOFLOW® ÎNDEPĂRTAȚI

Figura: 1. Guided Biofilm Therapy este un protocol clinic, sistematic, modular, bazat pe dovezi, preventiv și terapeutic.

f tratată non-ch rurg cal; în cazul per - mplant te este însă ma d f c l, în spec al d n cauza decontam năr greoa e a suprafețelor neregulate ale sp relor mplantulu . Cu toate acestea, s m lar parodont te , procedur le ch rurg cale de tratament ale per - mplant te ar trebu precedate de terap e non-ch rurg cală m n m nvaz vă.

CÂND APARE AFECȚIUNEA

PERI-IMPLANTARĂ?

Mucoz ta per - mplantară este o afecț une ndusă de placa bacterană. Homeostaz a gazdă-m crob la nterfața mplant-mucoasă este perturbată, ceea ce poate genera o lez une nflamator e. Scopul tratamentulu non-ch rurg cal pentru mucoz ta per - mplantară este s m lar celu al g ng v te : s mptomele cl n ce ale nfecț e trebu e reduse. La fel ca g ng v ta, mucoz ta per - mplantară este o afecț une revers b lă.

pe d vezi, preventiv și terapeutic.

În ceea ce pr vește prevenț a secundară, afecț unea poate să se v ndece complet pr ntr-o gest onare opt mă a plăc bacter ene. Este mportant să înțelegem mucoz ta per - mplantară, pentru că este cons derată precursorul per - mplant te [6, 7, 8]. Per - mplant ta este o afecț une patolog că care apare în țesutur le d n jurul mplantur lor dentare, caracter zată pr n nflamaț e în țesutul conjunct v per - mplantar ș pr n p erderea progres vă a suportulu osos. Zonele de per - mplant tă prez ntă semne cl n ce de nfecț e ș adânc m de sondare crescute. Asemănător parodont te , scopul tratamentulu non-ch rurg cal al per - mplant te este de a reduce semnele de nfecț e folos nd terap ant - nfecț oase pentru reducerea adânc m pung lor parodontale, rezoluț a sau reducerea sângerăr la sondare/supuraț e ș stab l zarea n velur lor de os marg nal [7, 9]. D n perspect va prevenț e terț are (preven rea progres e sau recuren-

Numărul 4 Aprilie 2022

țe bol ), metodele de tratament non-ch rurg cal pot duce la îmbunătăț r în parametr cl n c . Cu toate acestea, zonele tratate prez ntă adesea valor rez duale de BOP (sângerare la sondare) ș adânc m de sondare ma mar [10].

PREVENȚIE SISTEMATIZATĂ, STRUCTURATĂ

CU GBT

„Al 11-lea Workshop European de Parodontolog e al EFP” d n 2015 a avut ca rezultat acordarea une mportanțe crescute prevenț e parodont te ș per - mplant te [11]. Pr n urmare, compan a elveț ană EMS, în colaborare cu pract c en ș profesor un vers tar , a adaptat ș actual zat șed nța de recall conform lu Axelsson/L ndhe [12] în acord cu no le descoper r șt nț f ce ș progresul tehn c.

GBT este un protocol de prevenț e ș un tratament or entat spre r scur , bazat pe dovez , s stemat c, structurat, modular, nd v dual, apl cab l

Guided Biofilm Therapy este un pr ocol clinic, sistematic, modular, bazat

pe scară largă, în opt paș (fig. 1) [13]. GBT poate f folos t ș pentru nfecț le per - mplantare. Ig en zarea profes onală a d nț lor (Profess onal Tooth Clean ng, PTC) sau ma b ne spus, îndepărtarea mecan că profes onală a plăc (Profess onal Mechan cal Plaque Removal, PMPR) este o componentă centrală a prevenț e s stemat ce. Aceasta înseamnă că atât prevenț a, cât ș terap a nfecțlor per - mplantare pot f de succes doar cu un protocol s stemat c, structurat. Cer nțele pentru protocoale s stemat ce ( nclus v pentru nfecț le per - mplantare) [11, 12] nclud: d agnost c (control cont nuu al factor lor de r sc), măsur de îngr jre la dom c l u ( nformare, nstru re, mot vare), îndepărtarea mecan că profes onală a plăc (PMPR/PTC), curățare subg ng vală local zată în pung le rez duale ș șed nțe constante de recall. Iar GBT îndepl nește toate aceste cer nțe.

În plus, GBT poate f ut l zat ca prof lax e postoperator e în cadrul terap e mplantare de susț nere (Supportive Implant Therapy, SIT)

- aceasta nu este o măsură nd vduală zolată, c ma degrabă parte a unu protocol prevent v s stemat c.

PASUL 1: controlul infecțiilor/ evaluarea (diagnostic)

Îna nte de tratament, clăt rea orală cu agent ant m crob an reduce numărul de m croorgan sme el berate sub formă de aerosol ce ar putea contam na ech pamentele, suprafețele ch rurg cale ș personalul med cal.

Evaluarea constatăr lor ob ectve, d agnost cul ș r scul de boală rezultat sunt cruc ale pentru o prevenț e reuș tă [11]. Sunt d spon b le m jloace d g tale moderne pentru evaluarea ș documentarea tuturor afecț un lor orale, nclus v a nfecțlor per - mplantare. Aceste m jloace nu numa că perm t dent f carea ș documentarea constatăr lor actuale ș a factor lor de r sc, dar perm t ș mon tor zarea acestora.

Pentru a obț ne nd caț ale nfecț lor per - mplantare în t mp ut l, s tuaț a n ț ală trebu e stab l tă ș documentată după nserarea suprastructur . Doar în comparaț e cu valor le n ț ale, nspecț a v zuală, palparea (secreț e sau supuraț e), măsurarea adânc m de sondare, BOP (semn f caț e prognost că part culară pentru mplantur ), reces un le mucoase ș constatăr le rad olog ce pot ofer nformaț le necesare pentru o ntervenț e prevent vă în t mp ut l.

PASUL 2: evidențierea

L teratura actuală demonstrează clar că ev denț erea plăc creează nd c ma prec se ș obț ne rezultate ma bune în îngr j rea la domc l u ș îndepărtarea profes onală a plăc bacter ene [15, 16, 17].

PASUL 3: motivarea (îngrijirea la domiciliu)

Prevenț a de succes cupr nde întotdeauna gest onarea plăc bacter ene atât la dom c l u, cât ș profes onal, așa-num tul model cu do p lon conform lu Axelsson/L ndhe [12]. O componentă mportantă a terap e de suport per - mplantară (SIT) este mot varea ș educarea constantă a pac entulu pr n nformare ș nstru re, actual zate ș adaptate cont nuu [18].

Relaț a d ntre g ena orală nadecvată ș p erderea osoasă per - mplantară a fost descr să în ma multe stud . R scul de per - mplant tă a fost cons derab l crescut la pacenț cu g enă orală def c tară sau absentă [18, 19, 20, 21, 22]. De aceea, controlul la dom c l u al plăc în jurul mplantur lor este nd spensab l atât pentru prevenț a pr mară ș secundară, cât ș pentru cea terț ară a nfecț lor per - mplantare.

PAȘII

4, 5, 6: gestionarea plăcii bacteriene și a tartrului Îndepărtarea bacter lor nflamator (placa bacter ană) este ob ect vul de necontestat al SIT. Pe lângă

Figura: 2. Airflow Prophylaxis Master cu Airflow MAX – tehnologie de flux laminar brevetată, piesă de mână Perioflow, pudră Plus și Piezon PS No Pain – este un sistem tehnic, fizic și chimic coordonat pentru gestionarea plăcii bacteriene și a tartrului.

îndepărtarea mecan că a plăc bacter ene pr n măsur le de îngr j re la dom c l u menț onate anter or, gest onarea mecan că profes onală a plăc joacă un rol cruc al. Sunt d spon b le d verse m jloace în acest

scop:

• Instrumente manuale spec ale

• Per uțe ș cupe montate la p ese de mână rotat ve (Rubber Cup Pol sh ng/RCP)

• Instrumente son ce ș ultrasunete

• D spoz t ve cu jet de apă-pudră (A r-Pol sh ng)

Scopul procedur profes onale este de a îndepărta complet placa bacter ană, f nd în acelaș t mp blând cu substanța dentară [26, 27, 28] ș menț nând un n vel înalt de confort pentru pac enț ș med c . Termen A r-Flow ng ș A r-Pol sh ng sunt adesea ut l zaț ca f nd s non m deoarece funcț onează conform aceluaș pr nc p u al tehnolog e de jet de apă-pudră, dar d feră semn f cat v ș trebu e d st nș unul de celălalt. A rFlow ng este un s stem tehn c, f z c ș ch m c coordonat (d spoz t vul

A rflow Prophylax s Master - fig. 2 ș A rflow ; p esa de mână Per oflowfig. 3, pudra A rflow Plus pe bază de er tr tol, m n m nvaz vă). A rflow Prophylax s Master este s ngurul

d spoz t v care funcț onează cu un deb t constant ș stab l t de pudră ș un flux lam nar, spre deoseb re de A r-Pol sh ng, care are un deb t de pudră nstab l ș dec ma puț n constant.

PASUL 7: verificare

Personalul care a efectuat prof lax a ver f că gradul de corect tud ne al tratamentulu în cadrul auto-montor zăr , urmând ca med cul stomatolog să controleze ș să documenteze în comparaț e cu s tuaț a n ț ală. Totodată, acesta evaluează r scur le nd v duale de boală, stab lește d agnost cul f nal ș plan f că or ce tratamente supl mentare. Supravegherea de către med cul stomatolog este nd spensab lă pentru o delegare corectă leg slat v în German a. La sfârș tul tratamentulu non-chrurg cal al mucoz te per - mplantare ș /sau per - mplant te , soluț le ant m crob ene locale (clorhex d nă d gluconat pentru clăt r orale sau h poclor t de sod u) sunt adesea folos te ca m jloace supl mentare.

PASUL 8: recall

Importanța terap e de întreț nere pentru sănătatea orală [12] ș mențnerea sănătăț țesutur lor per - mplantare este recunoscută de mult t mp. Luengo F ș colab. 2023 au arătat că respectarea unu protocol str ct de SIT menț ne sănătatea țesutulu per - mplantar după un an ș ch ar îmbunătățește rezultatele postoperator [35]. St esch M ș colab. 2023 au subl n at mportanța SIT după terap a per - mplantară care poate preven recurența sau progres a bol . Cu toate acestea, încă nu ex stă suf c ente date pentru a stab l un protocol spec f c de suport în prevenț a terț ară a per - mplant te , efectul agenț lor ant sept c local ad ț onal ș mpactul frecvențe măsur lor ad ț onale. Protocoalele folos te ar trebu să f e o comb naț e de ntervenț de prevenț e ș terap e la ntervale constante ș adaptate nevo lor spec f ce

ale pac entulu [38].

GBT oferă un astfel de protocol, deoarece toate cer nțele med c ne orale moderne sunt îndepl n te: GBT este predictiv, preventiv, personalizat, participativ, precum ș m n m nvaz v cu un efect max m.

CONCLUZII

Derks ș colab. 2015 au arătat, într-o rev z e s stemat că, că prevalența mucoz te per - mplantare este de 43% ș a per - mplant te 22% [39]. După c nc an , mucoz ta per - mplantară man festă cl n c ș netratată a generat per - mplant tă în 43,9% d n cazur [40]. Stud ul lu Costa ș colab. 2012 a demonstrat mportanța terap e prevent ve constant efectuate. În grupul de control (cu măsur prevent ve constante), nc dența mucoz te per - mplantare a scăzut de la 43,9% la 18,0% [41], concluz onând că absența SIT poate crește nc dența nfecț lor per - mplantare. Netratată, progres a per - mplant te duce la p erderea mplantulu [8].

Acest art col este în consens cu recomandăr le gh dulu S3 actual de tratament al nfecț lor per - mplantare (The EFP S3-level Cl n cal Pract ce Gu del ne) în ceea ce pr vește SIT [41, 42]. O d screpanță cu recomandăr le acestu gh d apare atunc când se evaluează metodele auxl are terapeut ce (PTC/PMPR) de îmbunătăț re a parametr lor cl n c pentru mucoz ta per - mplantară.

Astfel, conform gh dulu S3, metodele alternat ve pentru îndepărtarea plăc bacter ene (pudră de gl c nă pentru a r-pol sh ng, per de ch tosan) nu ar trebu ut l zate în cazul mucoz te per - mplantare pentru că nu au demonstrat un efect cl n c supl mentar în comparaț e cu debr darea convenț onală (scalere ultrason ce cu vârfur d n f bră de carbon, ch urete d n teflon/ t tan, RCP). Această af rmaț e este

Figura: 3. Utilizarea clinică a Perioflow cu pudră Plus pentru curățarea minim invazivă a implanturilor.

într-un contrast putern c cu lucrăr le șt nț f ce d n l teratura de spec al tate refer toare la nstrumentele folos te pentru gest onarea mecan că a plăc bacter ene ș a tartrulu (F guero et al 2014; Nastr et al 2014; Drago et al 2014; Schwarz et al 2015; Ronay et al 2017; Tuchscheerer et al 2017; Mens et al 2018; Iatrou et al 2021; Hatz et al 2022; Ich oka et al 2023; Franc s et al 2023; F scher et al 2023; Korello et al 2023; Luengo F et al 2023; Brandenberger et al 2023; Mens M et al 2022) care sumar zează că PTC/PMPR pot f real zate ef c ent, f nd în acelaș t mp del cate cu substanța dentară ș ofer nd un n vel înalt de confort atât pentru pac enț , cât ș pentru practc en .

Această d screpanță este de asemenea ev dentă atunc când se compară l teratura refer toare la tratamentul g ng v te [37]. Trebu e, de asemenea, să ne întrebăm de ce A r-Pol sh ng/ A r-Flow ng poate îndepărta de tre or ma multă placă bacter ană subg ng vală de pe d nț natural , în t mp ce acest lucru se presupune că nu este valab l ș în cazul mucoz te per - mplantare [43, 44, 45, 46]. A f blând cu substanța dentară ș a menț ne confortul pac entulu ș al med culu nu sunt menț onate în gh dur le S3. Ex stă un consens cu gh dur le S3 în l teratura menț onată ma sus pentru terap a non-ch rurg cală a per - mplant te . Gh dur le S3 af rmă în acest caz că ar trebu ut l zate metode alternat ve pentru îndepărtarea plăc bacter ene (A r-Pol sh ng/A r-Flow ng).

A Simple Technique to Create Accurate, Esthetic Immediate Implant Provisional Restorations: Hurricane Anti-rotation Wings by Robert J. Stanley II, DDS, PhD, MS. Originally published in Compendium of Continuing Education in Dentistry 44(2) February 2023. ©2023 AEGIS Publications, LLC. All rights reserved. Reprinted with permission of the publishers.

O tehnică simplă pentru restaurări provizorii imediate

⊲ IMMEDIATE IMPLANT PROVISIONALIZATION

Despre autor:

Robert J. Stanley II, DDS, PhD, MS Adjunct Professor, University of North Carolina School of Dentistry, Chapel Hill, North Carolina; Founder, Stanley Institute, Cary, North Carolina; Private Practice, Cary, North Carolina; Diplomate, American Board of Oral Implantology; Diplomate, International Congress of Oral Implantologists; Fellow, American Academy of Implant Dentistry; Fellow, Academy of General Dentistry

Inserarea une restaurăr prov zor fabr cate prechrurg cal în momentul plasăr mplantulu poate f problematcă atunc când restaurarea nu se potr vește. De ob ce , poz ț a 3D a mplantulu în cav tatea orală nu este la fel de mportantă precum or entarea sa rotat vă în axul longtud nal, cunoscută sub numele de „timing”. În t mpul plasăr mplantulu , se dorește adesea ca una d ntre suprafețele hexagonale nterne ale mplantulu să f e într-o anumtă poz ț e de rotaț e (ad că t m ng) care perm te ut l zarea de bontur hexagonale spec f ce or entăr . Cu toate acestea, real zarea t m ng-ulu cu un n vel r d cat de prec z e este d f c lă.

Art colul de față propune o soluț e pentru această d lemă pr n care se el m nă or ce preocupare legată de t m ng-ul mplantulu în t mpul etape ch rurg cale, transferând controlul ant -rotaț e de la hexagonul ntern al mplantulu la restaurarea prov zor e în s ne, pr n ut l zarea ar p oarelor ant -rotaț e.

După extracț a d ntelu , restaurarea prov zor e non-funcț onală a mplantur lor dentare plasate med at oferă ma multe avantaje față de ut l zarea unu bont de v ndecare standard sau a une abordăr de plasare întârz ată a mplantulu . Restaurarea prov zor e nu numa că ajută la menț nerea arh tectur ex stente ș la reț nerea structur

DS

Core™

Descoperiți tehnologia

Dentsply Sirona, dinamizată cu DS Core

Un nou univers digital, care deservește întregul parcurs al pacientului de pe o singură platformă, conectând perfect soluțiile noastre digitale pe care medicii dentiști și laboratoarele le utilizează în 昀椀ecare zi.

DS Core conectează perfect scanerele intraorale DS, sistemele de radiologie digitală, precum și soluțiile de frezare și imprimare.

DS Core asigură 昀氀uxuri de lucru digitale eficiente prin oferirea unei conectivități excelente pentru specialiști, parteneri și laboratoare.

Figurile:

1. Înainte de extracție, plasarea implantului și grefarea spațiului pentru dintele nr. 11.

2. Vedere în prim-plan a restaurării provizorii imediate pe dintele nr. 11.

3. Două baze hibride standard de titan. Cea din stânga este hexagonală, iar cea din dreapta este nehexagonală. Fără caracteristica hexagonală, bontul devine lipsit de indexare.

4. Aripioarele provizorii mențin orientarea de rotație planificată.

5. Restaurarea provizorie după îndepărtarea aripioarelor.

6. Simbolul uraganului care poate fi folosit pentru a comunica forma restaurării provizorii cu aripioare.

7. Design corect pentru un contact punctiform pe aripioare.

8. Exemplu de restaurare provizorie frezată lipită pe baza de titan.

9. Exemplu de restaurare provizorie tipărită lipită pe baza de titan.

10. Poziționarea aripioarelor individuale pentru implanturi adiacente.

create pr n grefarea de spaț (f g. 1, 2), dar această abordare presupune de ob ce ș un t mp de tratament ma scurt pentru pac ent, cu ma puț ne v z te la cab net.

Îna nte de ntervenț a ch rurg cală pentru mplantare, ut l zarea une metode de subst tu re a d nț lor care mpl că un protocol gh dat protet c oferă med culu oportun tatea de a plan f ca v rtual o soluț e opt m zată ș de a fabr ca o restaurare prov zor e med ată. După pro ectarea coroane deale, următorul pas este să se prevadă probab l tatea stab l tăț mplantulu în alveola postextracț onală proaspătă, lucru care poate f făcut pr n ut l zarea șablonulu cu c nc f lete (f ve-thread gu del ne, FTG) FTG, un gh d nou pentru a prevedea stab l tatea pr mară a mplantur lor, sugerează angajarea a cel puț n c nc f lete ale c l ndrulu mplantulu în osul nat v pentru a as gura stab l tatea pr mară.

Dacă cer nța FTG este îndepl ntă, atunc f nal zarea cu succes a aceste metode propuse mpune ca mplantul să f e plasat în nter orul a 200 μm de locaț a tr d mensonală (3D) plan f cată, perm țând astfel ca restaurarea prov zor e prefabr cată, produsă în laborator, să f e înșurubată pe mplant fără ajustăr semn f cat ve sau ch ar deloc. Pentru a real za o plasare 3D prec să a mplantulu , nclus v or entarea de rotaț e, se recomandă ut l zarea unu gh d ch rurg cal suportat de d nț de t p 4, cu nd c de t m ng

M c eror poz ț onale ale mplantulu pot f de ob ce gest onate în cab net pr n ajustăr m nore ale restaurăr prov zor prefabr cate. Cu toate acestea, o eroare de rotaț e a mplantulu de doar câteva grade cu o restaurare prov zor e ndexată pot face ca restaurarea prov zor e prefabr cată să f e

estet c ș funcț onal nacceptab lă. O soluț e protet că ce mpl că ut lzarea unu bont fără ndexare (f g. 3) el m nă neces tatea controlulu pentru t m ng-ul mplantulu (adcă or entarea de rotaț e pe axul lung al mplantulu ). Astfel, făcând t m ng-ul mplantulu relevant, poz ț a de rotaț e a restaurăr prov zor prefabr cate poate f stab ltă în cab net conform planulu de tratament protet c.

În cazul mplantur lor mult ple, componenta responsab lă pentru l m tarea or entăr de rotaț e a proteze este hexagonul ntern al mplantulu , sau „hex-ul”. Această caracter st că ant -rotaț e perm te cl n c anulu ș să strângă șurubul bontulu conform spec f caț lor producătorulu , menț nând în acelaș t mp or entarea corectă de rotaț e între bont ș mplant. Fără această caracter st că, așa cum este cazul bontur lor fără ndexare, or entarea de rotaț e a bontulu față de mplant poate dev a în t mpul strânger , rezultând pos b le eror estet ce ș funcț onale.

Această problemă poate f el mnată pr n ut l zarea une soluț protet ce fără ndexare împreună cu o caracter st că ant -rotaț e. Pr n plasarea temporară a unor ar p oare ant -rotaț e pe coroana prov zor e fără ndexare, șurubul bontulu poate f strâns fără a comprom te or entarea de rotaț e plan f cată (f g. 4). Odată cu îndepl n rea cuplulu de preîncărcare dor t al șurubulu bontulu , ar poarele pot f îndepărtate ef c ent d n cav tatea orală cu un k t de ajustare în cab net (f g. 5).

MATERIAL ȘI METODĂ

Îna nte de ntervenț e ș la fnal zarea ses un v rtuale de plan f care a mplantulu , ar poarele ant -rotaț e sunt adăugate v rtual la coroana prov zor e. Ele

sunt constru te pentru a crea un cuplu rez stent la învârt rea în sens nvers acelor de ceasorn c pr n spr j n rea pe d nț ad acenț locaț e plan f cate a mplantulu . Pentru a ajuta la comun carea cu laboratorul, ar p oarele ar trebu fabr cate astfel încât să semene cu s mbolul unu uragan când sunt văzute d nspre marg nea nc zală. Aceste ar p oare nu ar trebu să se ext ndă d nspre ambrazur le fac ale ale restaurăr prov zor , n c să ntre în contact complet cu d nț ad acenț , c doar să se spr j ne pe aceșt a. Deș contactul depl n cu d nț ad acenț ar face ar p oarele ma rez stente, acest lucru creează d f cultăț la îndepărtarea estet că ușoară a ar p oarelor în cab net după strângerea șurubulu bontulu . Astfel, deal ar f ca ar p oarele să semene cu n ște arcade, cu un contact punct form care începe în aprop erea ungh ur lor l n are ale restaurăr prov zor ș se nseră în aprop erea ungh ur lor l n are ale d nț lor ad acenț (f g. 7).

După pro ectarea ar p oarelor, restaurarea prov zor e poate f frezată sau mpr mată ș l p tă pe o bază h br dă de t tan (t -base) standard (f g. 8, 9). În t mpul ntervenț e ch rurg cale, după strângerea șurubulu de bontul prov zor u, baza ar p oarelor poate f îndepărtată rap d ș reg unea se poate lustru ușor deoarece bazele ar p oarelor vor f expuse ș ușor acces b le. O abordare cu o s ngură ar pă se poate mplementa dacă sunt plasate ma multe mplantur (f g. 10).

DISCUȚII

Restaurăr le prov zor prefabrcate oferă multe avantaje față de alte opț un temporare în t mpul terap e de înlocu re a d nț lor. De exemplu, reta nerele Ess x nu perm t pac enț lor să mestece, punț le

c mentate nu pot f ut l zate între restaurăr le de porțelan, ar, deș as gură o v ndecare excelentă, bontur le de v ndecare personal zate sunt l ps te de estet ca sol c tată de pac ent. Restaurarea prov zor e reț nută de mplant, pe de altă parte, este o soluț e temporară estet că, de ob ce b ne pr m tă de pac enț , probab l dator tă s m l tud n sale cu un d nte natural.

Această opț une prov zor e îndepl nește, de asemenea, cer nțele protet ce de etanșare a alveole , f nd avantajoasă nu numa pentru conț nerea grefe , c ajută ș la menț nerea arh tectur atât a țesutur lor dure, cât ș a celor mo . Menț nerea arh tectur ex stente este în general ma ușoară decât recrearea e , atât pentru pac ent, cât ș pentru med c. De exemplu, dacă apare colapsul arh tectural, va f necesară reformarea reg un ce poate mpl ca grefarea de țesutur dure ș mo ; îngr j rea t sulară pr n ntermed ul bontur lor de v ndecare personal zate sau al restaurăr lor prov zor ; ș soluț protet ce f nale elaborate, cum ar f bontur le personal zate ș porțelanul roz, concepute pentru a compensa eventualele defecte t sulare recuperab le - toate acestea crescând costur le ș t mpul necesar pentru procedur .

În plus, dacă nu este at ns un cuplu de preîncărcare sau o forță de strângere adecvată pe șurubul bontulu protet c, este pos blă slăb rea șurubulu . Slăb rea șurubulu bontulu poate duce la compl caț precum ruperea componentelor ș la eșecul mplantulu . În t mpul faze de v ndecare, dacă șurubul se slăbește în jurul momentulu sugest v de d m nuare a stab l tăț între stab l tatea pr mară ș secundară, atunc re-strângerea sa ar putea afecta negat v v ndecarea plăg ș ar

putea duce la p erderea completă a stab l tăț ș la eșecul ntegrăr mplantulu . Real zarea cuplulu de nserț e al șurubulu bontulu recomandat de producător este mportantă pentru a m n m za r scul slăb r șurubulu . Ut l zarea ar p oarelor ant -rotaț e poate ajuta la real zarea cuplulu de nserț e recomandat, menț nând în acelaș t mp or entarea protet că plan f cată.

CONCLUZII

Ut l zarea concom tentă a unu bont fără ndexare ș a ar p oarelor ant -rotaț e pe coroana prov zor e el m nă neces tatea de a controla t mpul de nserare a mplantulu , ajută la real zarea cuplulu de preîncărcare adecvat al șurubulu bontulu ș fac l tează menț nerea or entăr de rotaț e plan f cată a restaurăr prov zor med ate.

Tooth Germ Autotransplantation With 24 Months of Follow-up: A Case Report by Luigi Tagliatesta, DDS; Federico Guerri, DDS; Anna Paola Iannone, DDS; and Nadim Oliva, DDS. Originally published in Compendium of Continuing Education in Dentistry 44(1) January 2023. ©2023 AEGIS Publications, LLC. All rights reserved. Reprinted with permission of the publishers.

Autotransplantarea germenului dentar cu monitorizare 24 luni

RAPORT DE CAZ

⊲ AUTOTRANSPLANTATION

Despre autori:

Luigi Tagliatesta, DDS

Specialist in Oral Surgery,

Unit of Oral Surgery

Federico Guerri, DDS

Resident of Oral Surgery

Anna Paola Iannone, DDS

Doctor in Dental Surgery

Nadim Oliva, DDS

Resident of Oral Surgery

Department of Health

Sciences, Santi Paolo & Carlo

Hospital, University of Milan, Milan, Italy

Autotransplantarea unui molar de minte reprezintă o soluție alternativă de tratament pentru o edentație cauzată de avulsii traumatice, agenezie, procese carioase extinse, în special la pacienții tineri. Autotransplantarea poate oferi multe beneficii, inclusiv menținerea unui parodonțiu funcțional normal, păstrarea vitalității pulpare și finalizarea dezvoltării radiculare.

Acest raport de caz descrie autotransplantarea reușită a unui germen de molar trei maxilar cu apex deschis pentru a înlocui un molar prim mandibular compromis, la un pacient în creștere. După 24 luni de monitorizare, dintele donor manifesta mobilitate fiziologică, absența infecției și a anchilozării, vitalitate pulpară pozitivă și o integrare parodontală completă. Examinarea radiografică a confirmat o edificare radiculară remarcabilă.

Autotransplantarea d nțlor este o opț une terapeut că acceptată pentru înlocu rea d nț lor absenț sau comprom ș . Aceasta mpl că transferul unu d nte donor d n poz ț a sa or g nală într-un loc receptor la acelaș pac ent. Un ob ect v pr nc pal al

aceste procedur este reprezentat de menț nerea v tal tăț celulelor l gamentulu parodontal la d ntele donor pentru a ev ta anch lozarea. Un alt ob ect v cruc al, deș rareor at ns de cl n c an, este menț nerea v tal tăț pulpare a d ntelu autotransplantat.

Partenerul potrivit pentru acele tale

X-Smart® Pro+

Endo-motor cu apex locator integrat

Cu până la 7.5 Ncm și 3,000 rpm, endo-motorul X-Smart® Pro+ a fost proiectat special pentru sistemele de ace endodontice de la Dentsply Sirona, atât cele cu mișcare rotativă, cât și cele cu mișcare reciprocă.

Apex locatorul integrat oferă siguranța unei determinări exacte a lungimii canalului radicular pe tot parcursul instrumentării.

X-Smart® Pro+ bene昀椀ciază de o mini-piesă contraunghi cu LED integrat de 10 lumeni, un înveliș al piesei de mână autoclavabil, o interfață cu ecran tactil ce oferă acces facil la setările prede昀椀nite în funcție de acul selectat, cu 昀椀rmware actualizabil pentru abordarea sistemelor viitoare.

Descoperiți mai multe, scanând codul QR alăturat!

Stad ul de dezvoltare a rădăc n d ntelu donor este factorul che e pentru revascular zarea pulpară de succes. S-a raportat că autotransplantarea unu germen dentar cu formarea ncompletă a rădăc n ș cu apex desch s oferă o probab ltate ma mare de revascular zare pulpară, ev tând astfel neces tatea unu tratament endodont c suplmentar. Efectuarea tratamentulu ch rurg cal la o vârstă t mpur e a pac entulu nfluențează poz t v prognost cul. Obț nerea revascularzăr la germenul dentar autotransplantat perm te rădăc n lor acestu a să se dezvolte în cont nuare ș să ajungă la o formare completă.

Următorul raport de caz descr e autotransplantarea unu germen dentar pentru a înlocu un molar pr m mand bular comprom s la un pac ent tânăr. Rad ograf le per ap cale ale cazulu sunt prezentate în f g. 1-3, în t mp ce f g. 4-8 oferă mag n d n perspect vă ocluzală ale d fer telor etape ale procedur de autotransplantare.

RAPORT DE CAZ

La un an ș jumătate după ce a benef c at de un pr m autotransplant al molarulu nr. 48 în poz ț a nr. 36, o pac entă de 18 an s-a prezentat la cl n ca autor lor pentru tratamentul car e la d ntele nr. 46 (f g. 4). Radograf a per ap cală a conf rmat un prognost c nefavorab l pentru acest d nte (f g. 1). În plus, molarul vec n nr. 47 nu era prezent. O mag ne ortopantomograf că efectuată anter or ob ect va prezența unu germen dentar neerupt în poz ț a dentară 18. Formarea ncompletă a rădăc n germenulu dentar ș apexul desch s l-au transformat într-un cand dat excelent pentru autotransplantarea în locaț a 46.

Pac ente s-au expl cat s tuaț a cl n că ș opț un le terapeut ce, ar ea a fost de acord cu sugest a

cl n c anulu de a benef c a de un al do lea autotransplant. Eventualul tratament endodont c a fost exclus d n cauza mob l tăț ș a anvergur cav tăț car oase a d ntelu nr. 46. S-a d scutat ș despre opț unea plasăr unu mplant, aceasta f nd resp nsă d n cauza vârste relat v t nere a pac ente .

Pentru a reduce încărcătura bacterană ntraorală, s-a efectuat o g enă orală profes onală ș o ses une de detartraj împreună cu terap e ant sept că (clăt re cu clorhex d nă 0,12%) cu 1 săptămână ș respect v 3 z le îna nte de procedura ch rurgcală. S-a adm n strat prof lax e cu 2 grame de amox c l nă plus ac d clavulan c cu 1 oră îna nte de ntervenț a ch rurg cală pentru a reduce r scul de nfecț e postoperator e.

Tehnica

Procedura ch rurg cală a fost real zată sub anestez e locală (mepvaca nă 2% ș adrenal nă 1:100.000). D ntele nr. 46 a fost extras atraumat c (f g. 5). Apo , s-a real zat o nc z e tr ungh ulară la n velul versantulu vest bular al tuberoz tăț max lare pentru a expune germenul dentar d n locaț a 18. După extracț a atraumat că a germenulu dentar v zat, acesta a fost transplantat în locul receptor nr. 46, as gurându-se că partea restantă a fol cululu ș rădăc n le în dezvoltare au fost menț nute neat nse pentru a preven deter orarea celulelor l gamentulu parodontal.

A fost necesară o ușoară alveoloplast e pentru a pregăt alveola receptoare (poz ț a 46), cu scopul adaptăr sale la forma d ntelu donor nr. 18 (f g. 6). Pentru a as gura f xarea corespunzătoare a d ntelu donor, s-a ut l zat un compoz t flu d cu care s-a f xat temporar de d ntele ad acent.

Pentru a ev ta expunerea d ntelu donor la traume exces ve, s-a pract cat o șlefu re select vă până la

obț nerea une cond ț de subocluz e m n mă. S-au real zat mult ple sutur folos nd un f r resorbab l 4-0 pentru a stab l za permanent d ntele donor după autotransplantare (f g. 7). La f nalul procedur s-a real zat o rad ograf e per ap cală de control postoperator.

Postoperator, au fost prescr se următoarele terap : ant b ot că, cu amox c l nă plus ac d clavulan c t mp de 6 z le în doze de câte 1 gram la f ecare 12 ore; ant sept că, pr n clăt re cu soluț e de clorhex d nă 0,12% t mp de 20 de z le, începând la 24 de ore după ntervenț a chrurg cală; ș apl căr locale de gel de clorhex d nă 1%, de 2 or pe z t mp de 10 z le.

Monitorizare

În cazur le cu autotransplantare, pe parcursul d spensar zăr , v abl tatea d ntelu transplantat trebu e evaluată pr n testarea term că. Datele obț nute în pr mele 3 lun după autotransplantare nu sunt nd cat ve pentru prognost cul pe termen lung al d ntelu transplantat, d n cauza nc dențe rezultatelor fals poz t ve ș fals negat ve care pot

Figurile:

1. Rx intraorală preoperatorie a molarului mandibular cariat (dintele nr. 46).

2. Rx intraorală a dintelui autotransplantat după 6 luni.

3. Rx intraorală a dintelui autotransplantat după 24 luni.

4. Situația clinică inițială indicând carii extinse pe primul molar mandibular, dintele nr. 46.

5. Alveola postextracțională, poziția dentară 46.

6. Dintele donor (nr. 18) transplantat în alveola receptorului, nr. 46.

7. Dintele autotransplantat stabilizat în alveolă cu ajutorul suturilor.

8. Dintele autotransplantat la 24 luni de monitorizare.

Tabelul 1

Rezultatele examenului clinic și radiologic în cursul monitorizării de 24 de luni

Mobilitate (clasificarea Miller) 2°1°FizFizFizFizFizFiz

Test de vitalitateNegNegNegPozPozPozPozPoz

Examen radiografic----IOPAIOPA-IOPA și OPT

AnchilozăNegNegNegNegNegNegNegNeg

Sondare parodontalăn.d.n.d.n.d.n.d.<3

apărea d n cauza pos b l tăț unu șoc pulpar postoperator. În cazul prezentat, după 3 lun de mon torzare, d ntele donor a prezentat un răspuns poz t v la testarea term că.

La șase lun după procedură, examnarea rad ograf că a demonstrat că d ntele transplantat avea un contur rad cular s m lar cu or ce alt d nte, ar l n a spaț ulu parodontal ș a osulu alveolar era b ne reprezentată (f g. 2). D ntele nu a man festat caracter st c patolog ce la exam năr le cl n ce ș rad olog ce real zate la 6, 12, 18 ș 24 de lun de mon tor zare (f g. 3 ș f g. 8) ș a demonstrat o mob l tate f z olog că (Tabelul 1).

DISCUȚII

Autotransplantarea la pac enț t ner , ca în cazul prezentat, const tu e o alternat vă val dă ș preferab lă în comparaț e cu nserarea unu mplant dentar d n ma multe mot ve. Implantur le pot să nu f e un tratament deal la pac enț t ner d n cauza creșter rez duale a max larulu . În plus, de ob ce , autotransplantarea este ma fezab lă d n punct de vedere econom c, deoarece această opț une de tratament nu neces tă ut l zarea de b omater ale, mplantur sau coroane protet ce, care contr bu e la creșterea costulu reab l tăr . Un alt factor care a nfluențat alegerea tratamentulu

în acest caz a fost apexul desch s al d ntelu transplantat.

D nț matur sunt cand daț deal pentru transplantare dator tă potenț alulu lor de a perm te dezvoltarea rădăc n ș a probab l tăț ma mar de a menț ne v tal tatea pulpară postoperator. Conform stud lor întrepr nse de Mendes ș Rocha, molar de m nte cu dezvoltarea ncompletă a rădăc n au o rată de v ndecare pulpară de 96%, comparat v cu 15% în cazul d nț lor grefaț cu rădăc na complet formată.

Dator tă prezențe unu apex desch s la un d nte matur, capac tatea de regenerare a țesutulu vascular pulpar păstrează d ntele v tal după autotransplantare. D ametrul foramenulu ap cal este un nd cator f del al revascular zăr pulpare. Într-adevăr, d nț donor cu un d ametru ap cal ma mare de 1 mm au un r sc redus de necroză deoarece revascular zarea postoperator e are ma multe șanse de succes. Pe de altă parte, la d nț cu apexur închse, revascular zarea pulpară apare ma rar, f nd necesar tratamentul endodont c.

Păstrarea ș menț nerea v tal tăț celulelor l gamentulu parodontal la d ntele donor sunt che a unu rezultat cl n c de succes. Un stud u ș un sondaj retrospect v asupra

autotransplantăr lor dentare subl n ază mportanța une procedur ch rurg cale atraumat ce pentru a as gura un traumat sm m n m asupra suprafețe rad culare ș pentru a preven anch lozarea. De fapt, reorgan zarea naturală a f brelor parodontale are loc atunc când v tal tatea lor este păstrată. Pr n urmare, extracț a atentă ș prec să a d ntelu donor este extrem de mportantă pentru menț nerea l gamentulu parodontal.

V ndecarea parodontală a sfârș t de ob ce după 8 săptămân post-tratament ș apare rad ograf c sub forma unu spaț u cont nuu în jurul rădăc n , fără resorbț e radculară ș cu prezența lam ne dure.

CONCLUZII

În cazul prezentat, după 24 de lun de urmăr re, s-au remarcat do determ nanț che e a une autotransplantăr de succes: păstrarea v tal tăț pulpare ș absența anch loze dentare. Reuș ta autotransplantăr efectuate la această pacentă poate f atr bu tă procedur ch rurg cale real zate cu atenț e, într-un mod atraumat c, pentru a păstra l gamentul parodontal al d ntelu transplantat, precum ș stad ulu ncomplet de dezvoltare a rădăc n d ntelu donor, care a perm s revascular zarea completă a acestu a.

IOPA = rad ograf e per ap cală ntraorală, OPT = ortopantomograf e, Neg = negat v, Poz = poz t v, F z = f z olog c, n.d. = nedetectat

Succesul este ușor pentru toată lumea

91% succes clinic după 2 ani Depășește ratele de succes menționate în literatură*

Sigilantul Dumneavoastră bioactiv pentru canalele radiculare

• Sigilant hidraulic, gata preparat, la seringă

• Fără contacție – bioactiv – biocompatibil – pH mare

• Indiferent de tehnica folosită, la rece sau la cald

* La 24 de luni după tratament, rata generală de eficacitate folosind criterii lejere a fost de 91,0% în grupul BrF și 90,4% în grupul BrRCS (p=0,0003) Rezultatele studiului clinic (Clinicaltrial.gov/NCT04757753) în prezent în curs de evaluare. Dispozitiv medical Clasa III - certificat de BSI (2797) în conformitate cu MDR/UE.

Vă rugăm accesați site-ul nostru pentru mai multe informații: www.septodont.ro

Turn static files into dynamic content formats.

Create a flipbook
Issuu converts static files into: digital portfolios, online yearbooks, online catalogs, digital photo albums and more. Sign up and create your flipbook.
Actualități Stomatologice nr. 103 by Dental News - Issuu