

Gicht und Pseudogicht
Zwei schmerzhafte
den Alltag
Kristallerkrankungen



Dies ist eine Broschüre der Rheumaliga Schweiz, die dank der finanziellen Förderung zweier Unternehmen realisiert werden konnte:
Die Rheumaliga Schweiz ist Anlaufstelle für Betroffene und Fortbildungsstätte für Fachpersonen. Unser Angebot konzentriert sich auf drei zentrale Bedürfnisse: Beratung, Bildung und Bewegung.
Rheumaliga Schweiz
Tel. 044 487 40 00 info@rheumaliga.ch www.rheumaliga.ch
Vorwort
Liebe Leserin, lieber Leser
Womöglich wundern Sie sich über den Titel dieser Broschüre und fragen sich, ob es denn zwei Formen von Gicht gebe, eine «echte» und daneben noch eine «unechte» oder «falsche» Gicht – denn nichts anderes drückt der Begriff Pseudogicht aus. Tatsächlich haben die beiden Erkrankungen grosse Ähnlichkeiten. Man erklärt beide daraus, dass sich im Gewebe winzige Kristalle ablagern. Zudem werden bei der akuten Pseudogicht die gleichen Massnahmen empfohlen und kommen die gleichen Medikamente zum Einsatz wie beim Gichtanfall.
Die Unterschiede treten erst hervor, wenn man genauer hinschaut – und genau dies wollen wir hier tun. Umso mehr, als die Pseudogicht das unscheinbare Mauerblümchen unter den rheumatischen Erkrankungen darstellt. Obwohl sie zu massiven Gelenkzerstörungen führen und das tägliche Leben der Betroffenen sehr erschweren kann, zählt sie zu den unterschätzten Krankheiten.
Wir möchten mit dieser Broschüre dazu beitragen, dass die vielen älteren Menschen, die an einer Pseudogicht leiden, ernst genommen werden, dass ihnen Fehldiagnosen erspart bleiben und sie eine angemessen Behandlung erhalten. Zu diesem Zweck stellen wir die Pseudogicht gleichrangig neben die Gicht, auch wenn die unterschiedliche Textmenge den Eindruck vermittelt, als würden wir
die Pseudogicht als ein Anhängsel zu einem viel grösseren und gewichtigeren Thema behandeln.
Gewichtig und gross ist das Thema Gicht nur deshalb, weil die medizinische Literatur seit der Antike, eine historische Ahnengalerie prominenter Gichtopfer und über 300 Jahre moderner Forschung so viel Material dazu zusammengetragen haben. Zur Gicht gibt es ganz einfach sehr viel anzumerken und einzuordnen, insbesondere in Bezug auf ihre Ursachen und ihre Behandlung. Dabei schauen wir im Rahmen dieser Broschüre durch die Brille der Schulmedizin und streifen nur am Rande die vielen naturheilkundlichen Behandlungsmöglichkeiten, die sich im Laufe der langen Geschichte der Gicht entwickelt haben. Welche ätherischen Öle oder was für Schüsslersalze Gichtschmerzen lindern oder was sich Gichtbetroffene von der Akupunktur, der Neuraltherapie oder der Apitherapie (von entzündungshemmenden Bienengiftbehandlungen) erhoffen dürfen, erfahren Sie anderswo.
Bitte bedenken Sie: Diese Broschüre kann keine ärztliche Beratung ersetzen. Sie dient lediglich informativen Zwecken. Sie will Verständnis schaffen und Wissenslücken schliessen. Denn Studien zeigen, dass Betroffene, die ihre Krankheit verstehen und mit diesem Verständnis am Behandlungsprozess mitwirken, zuversichtlicher sind und sich weniger ängstigen. Sie fühlen sich nicht als passive Empfänger medizinischer Entscheidungen, sondern übernehmen eine aktive Rolle.
Ihre Rheumaliga Schweiz
Zusammenfassung
⦁ Die Gicht kann Gelenke entzünden, innere Organe befallen und zu Gichtknoten führen.
⦁ Ein Gichtanfall ist äusserst schmerzhaft.
Der erste Anfall betrifft oft das Grundgelenk einer grossen Zehe.
⦁ Die Ursache der Gicht ist eine erhöhte Ansammlung von Harnsäure im ganzen Körper.
Die Harnsäure kann winzige Kristalle bilden, die eine Entzündungsreaktion auslösen.
⦁ Die Akuttherapie unterdrückt die Entzündung und die Schmerzen.
⦁ Die langfristige Behandlung zielt darauf ab, die Harnsäurekonzentration so weit zu senken, dass keine Kristalle mehr entstehen und sich bereits vorhandene Kristalle wieder auflösen können. Die Lebensstilmedizin empfiehlt dazu eine Ernährungsumstellung, oft verbunden mit einer Gewichtsreduktion, und regelmässige Bewegung. Unter ärztlicher Kontrolle kann eine medikamentöse Harnsäuresenkung erfolgen.
Was ist die Gicht?
Die Gicht ist eine Krankheit, die zu intensiven Gelenkschmerzen führen kann.
Ursache ist in den meisten Fällen eine spezifische Ausscheidungsschwäche der Nieren. Aufgrund dessen kommt es im Körper zu einem Anstieg von Harnsäure. Diese kann winzige Kristalle bilden, die sich im Körper ablagern. Je nachdem, wo es zu solchen Kristallablagerungen kommt, unterscheidet man drei Gichtformen:
Gelenkgicht
Diese Form der Gicht beginnt meist in einem einzelnen Gelenk. Es schwillt unter einem massiven Entzündungsschub plötzlich stark an und verursacht heftige Schmerzen. Die Gichtanfälle wiederholen sich zwischen längeren beschwerdefreien Phasen im selben Gelenk oder in anderen Gelenken. Allmählich entwickelt sich daraus eine chronische Gelenkerkrankung.
Organgicht
Die Gicht kann auch innere Organe wie das Herz, den Darm und vor allem die Nieren befallen. Bei einer Nierengicht bilden sich aus den Kristallablagerungen harnsäurehaltige Nierensteine.
Tophöse Gicht
Ausserhalb von Organen und Gelenken können sich die Harnsäurekristalle zu Gichtknoten entwickeln, den sogenannten Tophi. Man findet sie in Weichteilen und im Bindegewebe, etwa in der Ohrmuschel oder im Ellbogen.
Terminologie
Die fachsprachliche Bezeichnung für Harnsäure lautet
Acidum uricum oder kurz Urica. Davon leiten sich die medizinischen Namen der Gicht bzw. der Gelenkgicht ab: Urikopathie (Harnsäurekrankheit) bzw. Arthritis urica (harnsäurebezogene Gelenksentzündung).
Zuordnungen
⦁ Aufgrund der Störungen des Harnsäurestoffwechsels ordnet man die Gicht den Stoffwechselkrankheiten zu. Dies ist ein weit gefasster Sammelbegriff für verschiedenartige, mehrheitlich nicht-rheumatische Krankheiten.
⦁ Obwohl die akute Gelenkgicht häufig nur ein einzelnes Gelenk befällt, ist sie (wie die meisten Stoffwechselerkrankungen) eine Systemerkrankung . Der ganze Organismus ist mitbetroffen.
⦁ Zudem zählt die Gelenkgicht zu den Kristallarthropathien bzw. Kristallarthritiden . Darunter fasst die Rheumatologie Gelenkerkrankungen bzw. Gelenksentzündungen zusammen, die mit Kristallanhäufungen verbunden sind. Sie bilden eine eigene Untergruppe innerhalb der entzündlichen Formen von Rheuma.
Historische Bezüge
Die Gicht hat nicht nur einen alten Namen, auch unser Gichtverständnis hat eine lange Vorgeschichte. Sie reicht bis in die Antike zurück. 1
Gicht und der Lebensstil
Die älteste medizinische Beschreibung der Gicht ist uns von Hippokrates überkommen, der um 400 vor Christus auf Kos in der östlichen Ägäis eine Schule für Ärzte gründete. Hippokrates brachte die Gicht mit einem ungesunden Lebensstil in Zusammenhang. Er nannte sie die «Arthritis der Reichen», was bis heute nachklingt, wenn wir die Gicht als eine Wohlstandskrankheit bezeichnen. Durch die Jahrhunderte kannte man die Gicht als ein Leiden vornehmer Herren, die sich üppige Mahlzeiten und ausgiebigen Alkoholkonsum leisten konnten. Davon zeugen viele historische Illustrationen und Karikaturen.
Gicht infolge eines üppigen Lebensstils: eine Darstellung von George Cruikshank (1818).

Was ist die
Gicht und Hyperurikämie
Auch die Ursachenerklärung der Gicht hat historische Wurzeln. Schon Aretaios von Kappadokien (ein griechischer Arzt, der zur Zeit Kaiser Hadrians wirkte) vertrat die Auffassung, dass ein bestimmter Giftstoff im Blut die Gicht verursache. Aber erst im 19. Jahrhundert gelang es dem englischen Arzt Alfred Baring Garrod, diese Substanz als Harnsäure zu identifizieren und im Blut von Gichtbetroffenen nachzuweisen. Seitdem denken wir die Gicht und die Hyperurikämie (einen hohen Harnsäurespiegel im Blut) eng zusammen.
Pflanzliche Gichtmedizin
Schon in der Spätantike behandelte man Gichtanfälle mit Colchicin, einem pflanzlichen Wirkstoff der Herbstzeitlosen (Colchicum autumnale). Die historisch ältesten Hinweise dazu finden sich in den Werken des byzantinischen Arztes Alexander von Tralleis um 600 nach Christus. Die Tradition der ColchicinTherapie brach in den Wirren der Geschichte ab, aber im 17. Jahrhundert wurde dieses pflanzliche Arzneimittel wiederentdeckt. Colchicin behauptet sich bis heute im Arsenal der Gichtmedikamente.

Der Pflanzenstoff Colchicin kommt bis heute in der Akuttherapie der Gicht zur Anwendung.
400 v. Chr.
Die Geschichte der Gicht im Überblick
Hippokrates liefert die erste klinische Beschreibung der Gicht.
n. Chr.
Aretaios von Kappadokien postuliert Gift im Blut als Gichtursache.
Galen liefert die erste klinische Beschreibung der Gichtknoten.
Alexander von Tralleis empfiehlt Colchicin zur Gichtbehandlung.
Ältester Nachweis für den Krankheitsnamen Gicht («gote»).
Antoni van Leeuwenhock entdeckt unter dem Mikroskop die kristalline Struktur der Gichtknoten.
Thomas Sydenham identifiziert die Gicht als eine eigene Form von Arthritis.
William Hyde Wollaston beschreibt die Harnsäurekristalle.
Alfred Barring Garrod weist nach, dass die Gicht und die Hyperurikämie zusammenhängen.
Entdeckung von Allopurinol.
Verbreitung
An der Gicht leiden in der Schweiz ungefähr 2 Prozent der erwachsenen Bevölkerung.
Das sind rund 146’000 Personen. Die Zahl der Gichtfälle hat in den vergangenen Jahren zugenommen, und man rechnet auch künftig mit einer Zunahme.
Gicht bei Männern
Männer erkranken an der Gicht sehr viel häufiger als Frauen. Der Männeranteil liegt zwischen 75 und 95 Prozent. Die Gicht ist bei Männern ab vierzig die häufigste entzündliche Gelenkerkrankung. Unter den älteren Männern (ab 65) erkranken daran bis zu 8 Prozent. Das entspricht in der Schweiz einer Zahl von 70’000 Senioren.
Gicht bei Frauen
Weibliche Geschlechtshormone fördern die Ausscheidung von Harnsäure und haben eine entzündungshemmende Wirkung. Deswegen erkranken Frauen mit hohen Östrogenwerten und Frauen vor den Wechseljahren kaum an der Gicht. Gichtanfälle bei Frauen sind meist die Folge einer Extremdiät.
Ursachen
Eine Gicht entsteht, wenn Ablagerungen von Harnsäurekristallen eine Entzündungsreaktion hervorrufen.
Den Anfang machen Fresszellen (Makrophagen) des angeborenen Immunsystems. Sie verleiben sich die Harnsäurekristalle ein und lösen sie durch Enzyme auf. Dabei setzen die Fresszellen einen Inflammasom-Proteinkomplex (NLRP3) frei. Dieser aktiviert entzündungsspezifische Interleukine (Immunbotenstoffe) wie vor allem das Interleukin-1 β . Unter Interleukin-Einfluss kommen weitere Immunbotenstoffe und Immunzellen ins Spiel. Allmählich säuern die Entzündungsprozesse das betroffene Gewebe. Dies senkt die Löslichkeitsgrenze der Harnsäure ab, so dass sich während des Gichtanfalls neue Kristalle bilden, die der Entzündung weiteren Schub verleihen.
Alle diese Faktoren lassen die Entzündung in schnellem Tempo eskalieren. Sind die Kristallablagerungen beseitigt oder hinreichend aufgelöst, klingt die Reaktion wieder ab. Der Gichtanfall ist eine selbstlimitierende Aufräumaktion . Auch ohne medikamentöse Behandlung verschwinden die Symptome nach einigen Stunden, Tagen oder spätestens zwei Wochen. Die medizinische Literatur sieht bei der akuten Gicht eine massiv überschiessende Entzündungsreaktion am Werk. Zu dieser objektiven Einstufung passt das subjektive Empfinden der Betroffenen, die häufig über schier unerträgliche Gichtschmerzen klagen.
Andererseits zeigt die Entzündungsreaktion keine autoimmunen Züge. Die Gicht zählt daher nicht zu den Autoimmunkrankheiten. Sie wird aber manchmal mit der Autoimmunerkrankung Psoriasis-Arthritis verwechselt. 2
Was verursacht eine Gicht?
Zum Zeitpunkt eines Gichtanfalles kann man dessen unmittelbare Ursache in flagranti ertappen. Dazu muss man nur mit einer Hohlnadel durch die Kapsel des betroffenen Gelenkes stechen, ein wenig Gelenkflüssigkeit (Synovia) absaugen und darin unter dem Polarisationsmikroskop nach nadelförmigen Kristallen suchen. Schon ein einziger Tropfen kann den Kristallnachweis erbringen.
Die anschauliche Evidenz der Harnsäurekristalle ist stark und macht den Kristallnachweis zum Goldstandard der Gichtdiagnose. Aber warum bilden sich Ablagerungen von Harnsäurekristallen? Wie kommt es zu überschüssiger Harnsäure? Und was ist die Harnsäure?
Was ist die Harnsäure?
Die Harnsäure ist ein Abbauprodukt des Stoffwechsels. Sie entsteht beim Abbau von Purinen . Das sind elementare Bausteine der DNA und der RNA, also des Speichers und des Transportvehikels der Erbinformationen. Purine stecken damit in allen pflanzlichen, tierischen und menschlichen Zellen.
Die meisten Purine fallen bei der Verdauung an, wenn wir Zellen aus pflanzlichen oder tierischen Nahrungsmitteln aufspalten. Zusätzlich entstehen Purine beim Abbau eigener Körperzellen. Eine dritte Purinquelle sind bestimmte Coenzyme, speziell des Energiestoffwechsels. Auch bei deren Abbau fallen Purine an.
Alle diese Purine verstoffwechseln wir in der Leber und zu einem geringeren Teil auch im Dünndarm zu Harnsäure. So produzieren wir pro Tag im Normalfall ungefähr 0,7 Gramm Harnsäure und nutzen diese, um zum Beispiel Antioxidantien zu bilden oder den Blutdruck zu stabilisieren. Entsprechend haushälterisch geht der Körper mit der Harnsäure um. 90 Prozent der in den Nieren gefilterten Harnsäuremenge werden zurückbehalten. Ausgeschieden wird die Harnsäure
hauptsächlich über den Urin und zu einem geringen Teil auch über den Stuhl. 3
Wie kommt es zu einem Überschuss an Harnsäure?
Zu einem Harnsäureüberschuss kommt es, wenn der Stoffwechsel zu viel Harnsäure bildet oder die Nieren zu wenig Harnsäure ausscheiden. Beide Mechanismen lassen die im Blut messbare Harnsäurekonzentration ansteigen.
Diesen Zustand nennt man eine Hyperurikämie . 4
Zu einer übermässigen Harnsäureproduktion führen eine purinreiche Ernährung, angeborene Störungen des Purinstoffwechsels oder gewisse Krankheiten, die die Harnsäureproduktion erhöhen.
Zu einer Reduktion der Ausscheidungskapazitäten der Nieren können verschiedene Faktoren beitragen, genetische genauso wie Lebensstilfaktoren, ausserdem gewisse Medikamente sowie Bleivergiftungen.
Die Gicht unter dem Mikroskop: nadelförmige Harnsäurekristalle in Gelenkflüssigkeit, aufgenommen unter polarisiertem Licht.

Genetische Ursachen?
Haben Sie Gicht in der Familie? Beim Vater, Grossvater, bei Onkeln oder Tanten? Die familiäre Häufung kann auf genetische Faktoren hindeuten. So macht man verschiedene einzelne Genveränderungen dafür verantwortlich, die Ausscheidungskapazitäten der Nieren einzuschränken. Eher selten kommen genetische Enzymdefekte vor, die im Purinstoffwechsel die Produktion von Harnsäure erhöhen.
Unterdessen liegen genomweite Assoziationsstudien (GWAS) vor. GWAS vergleichen im grossen Stil die genetischen Daten gesunder wie kranker Personen im Hinblick auf ein bestimmtes Merkmal und errechnen, um wie viele häufiger gewisse Loci im Genom von Kranken vorkommen, verglichen mit dem Genom von Gesunden. Unter Locus (Mehrzahl: Loci) versteht man die physikalische Position eines Genes auf der DNA.
⦁ Gemäss einer GWAS von 2019 gibt es 183 Loci mit einem Bezug zum Merkmal Hyperurikämie. Untersucht wurden dazu das Genom und die Harnsäurewerte von fast einer halben Million Menschen. 5
⦁ Eine noch grössere GWAS von 2024 ergab 277 einschlägige Loci. Untersucht wurden dazu die Datensätze von 2,6 Millionen Menschen, einschliesslich 120’000 Gichtbetroffener. 6
Genomweite Assoziationsstudien zeigen die Gicht als eine polygene (durch viele Gene bzw. Loci bestimmte) Erkrankung. Assoziationen sind aber lediglich Korrelationen. Sie beweisen keinen kausalen Zusammenhang in dem Sinne, dass eine bestimmte Gruppe von Genvarianten eine Gicht verursachen würde, geschweige denn, dass sich daraus eine Gentherapie der Gicht ableiten liesse.
Lebensstilfaktoren, die zu Gicht führen
Seit der Antike vermutet man die Gichtursache im Lebenswandel, speziell in der Ernährung . Heutige Erkenntnisse identifizieren vorrangig das Nahrungspurin, viel Zucker und speziell die isolierte Fructose als Faktoren, die die Bildung von Harnsäure ankurbeln, während andere Ernährungsfaktoren die Harnsäureausscheidung hemmen. In beiderlei Beziehung problematisch ist ein übermässiger Alkoholkonsum.
Alkohol
Zum einen ist Alkohol harnsäurebildend. Grund dafür sind der Abbau von Alkohol zu Acetat und dessen weitere Umwandlung, bei der das Energiemolekül ATP verbraucht wird, sowie weitere Abbauprodukte, die in den Purinstoffwechsel gelangen.
Zum andern erhöht Alkohol über verschiedene Mechanismen die Bildung von Milchsäure (Lactat), die wie die Harnsäure über die Nieren ausgeschieden wird. Dabei hat die Milchsäure Vorrang. Deswegen schränkt ein übermässiger Alkoholkonsum die Kapazitäten der Nieren, Harnsäure auszuscheiden, ein.
Purin
Je mehr Purin im Stoffwechsel entsteht oder wir uns mit der Nahrung direkt zuführen, desto mehr Harnsäure kann sich im Körper ansammeln. Aus diesem Grunde lässt ein ausgiebiger Konsum von Fleisch und anderen purinreichen Lebensmitteln die Harnsäure ansteigen. Ebenfalls zu einer starken Harnsäureproduktion kommt es, wenn auf einmal viele endogene Purine aus dem Abbau von Körperzellen anfallen. Dies kann bei extremen Diäten oder einer Chemotherapie passieren.

Fructose
Warnung vor Extremdiäten
Unterschreitet die Kalorienzufuhr ein gewisses Minimum, schaltet der Körper nach drei Tagen auf ein Notprogramm um und deckt seinen Energiebedarf aus dem Abbau von Muskelmasse. Die dabei anfallenden Purine lassen die Harnsäurebildung in die Höhe schnellen. Gleichzeitig verlangsamen sich beim Fasten die Stoffwechselprozesse und kommen weitere Faktoren hinzu, die die Harnsäureausscheidung erschweren. Unter solchen besonderen Bedingungen können auch Frauen mit hohen Östrogenwerten eine Gicht entwickeln.
Wir bilden Harnsäure auch aus der Fructose (Fruchtzucker), die wir uns teils aus isolierter Fructose («primär»), teils im herkömmlichen Zucker (Saccharose, «sekundär») zuführen. Der Grund dafür liegt im besonderen Stoffwechsel von Fructose in der Leber. Dabei werden grosse Mengen des Energiemoleküls ATP (Adenosin-Triphosphat) zu AMP (Adenosin-Monophosphat) abgebaut. AMP wird dann in den Purinstoffwechsel eingeschleust und zu Harnsäure umgewandelt. Die harnsäurebildende Wirkung von Fructose zeigt sich deutlich beim Konsum von Softdrinks . Schon ein Glas davon lässt den im Blut messbaren Harnsäurespiegel nach kurzer Zeit ansteigen. 7
Glucose
Glucose (Traubenzucker) und Fructose (Fruchtzucker) sind Einfachzucker. Aber im Unterschied zur harnsäurebildenden Fructose hat die Glucose eine hemmende Wirkung auf die Harnsäureausscheidung. Glucose geht direkt ins Blut über. Um die Blutzellen und die Blutgefässe vor zu viel Glucose zu schützen, schüttet die Bauchspeicheldrüse das Hormon Insulin aus. Es schleust die Glucose aus den Blutbahnen in die Körperzellen, wo die Zuckermoleküle in den Energiestoffwechsel oder die Glykogenspeicher gelangen.
Die Regulation des Blutzuckerspiegels durch Insulin hat selbst keinen direkten Bezug zur Harnsäure. Aber in den Nieren wirkt sich reichlich vorhandenes Insulin negativ auf die Transportproteine aus, die an der Harnsäureausscheidung mitwirken. So führt eine zucker- und kohlenhydratreiche Ernährung (mit viel Brot, Teigwaren, Kuchen) zu einem hohen Blutzuckerspiegel, dieser zu einem hohen Insulinspiegel, und dieser wiederum hemmt die Harnsäureausscheidung. 8
Eiweiss
Auch eine Zufuhr von sehr viel Eiweiss (Protein) kann die Ausscheidung von Harnsäure einschränken. Das Problem ist hier das hauptsächliche Abbauprodukt des Eiweissstoffwechsels, der Harnstoff, nicht zu verwechseln mit der Harnsäure. Wenn überschüssiger Harnstoff ausgeschieden wird, tritt er mit der Harnsäure in Konkurrenz um die Ausscheidungswege der Nieren. Je mehr Harnstoff, desto weniger Harnsäure kann gleichzeitig ausgeschieden werden.
Salz
Speisesalz (Natriumchlorid) hat zwar keinen direkten Einfluss auf die Harnsäurebildung, aber ein hoher Salzkonsum kann durch seine Auswirkungen auf den Blutdruck, den Stoffwechsel und die Nieren indirekt eine Gicht begünstigen oder diese verschlimmern.

Leistungssport
Vom Proteinshake zum Gichtanfall
Um den Muskelaufbau zu beschleunigen, nehmen ehrgeizige Kraftsportler gerne muskelaufbauende Stoffe wie Protein, Kreatin und andere zu sich. Diese belasten den Stoffwechsel und überfordern speziell die Nieren, die gleichzeitig Harnstoff aus dem Proteinstoffwechsel und Harnsäure aus dem Purinstoffwechsel zu bewältigen haben. Gemäss dem Prinzip «Harnstoff vor Harnsäure» kann ein übermässiger Proteinkonsum die Harnsäureausscheidung so sehr hemmen, dass die überschüssige Harnsäure kristallisiert. Aus diesem Grunde können auch sportliche, schlanke junge Männer einen Gichtanfall erleiden.
Während normale körperliche Aktivitäten den Harnsäurespiegel normalisieren, kann Leistungssport durch vermehrten Zellabbau und vermehrten ATP-Verbrauch die Harnsäurebildung erhöhen.
Stress
Zu den Lebensstilfaktoren, die zu einer Gicht führen, zählt auch chronischer Stress. Einerseits erhöht Stress den Zellabbau, sodass mehr Purine anfallen, andererseits hemmen die Stresshormone (Cortisol, Dopamin, Noradrenalin und Adrenalin) die Ausscheidung von Harnsäure.
Medikamente, die zu Gicht führen
Onkologische Medikamente und Therapien
Zu den Medikamenten, die vermehrt Harnsäure freisetzen, zählen vor allem Zytostatika (zellwachstumshemmende Medikamente). Sie zerstören im Rahmen einer Chemotherapie viele Tumor- und andere Zellen. Dabei fallen grosse Mengen Purine an, die zu Harnsäure abgebaut werden. Gleichzeitig können gewisse Zytostatika die Nierenfunktion beeinträchtigen, so dass weniger Harnsäure ausgeschieden werden kann. Dieselben beiden Effekte hat auch die Bestrahlung von Tumoren.
Harntreibende Medikamente
Diuretika (harntreibende Medikamente) vermindern die Ausscheidung von Harnsäure. Zwar regen sie die Nieren dazu an, mehr Wasser und Elektrolyte auszuscheiden. Aber damit wird man nicht automatisch mehr Harnsäure los. Im Gegenteil, die aus dem Blut in die Nierenkanälchen gefilterte Harnsäure kann bei einer harntreibenden Therapie ins Blut zurückgelangen.
Immunsuppressiva
Unter den immunsuppressiven Medikamenten wirken Cyclosporin A und Tacrolimus hemmend auf die Harnsäureausscheidung. Beide wurden für die Transplantationsmedizin entwickelt, dienen aber auch der rheumatologischen Basistherapie, vor allem bei Kollagenosen und Vaskulitiden.
Acetylsalicylsäure (ASS)
Acetylsalicylsäure (ASS, besser bekannt als Aspirin ®) hemmt in niedriger Dosierung die Harnsäureausscheidung, aber verstärkt sie in hoher Dosierung.
Medikamente zur Harnsäuresenkung
Auch Allopurinol und andere harnsäuresenkende Medikamente zur langfristigen Gichtbehandlung können in der
Anfangsphase der Therapie Gichtanfälle verursachen. Denn die medikamentöse Senkung der Harnsäurekonzentration im Blut erhöht dessen Kapazitäten, Harnsäure aufzunehmen.
So kann Harnsäure aus dem Gewebe vermehrt ins Blut übergehen und dessen Harnsäurespiegel in die Höhe treiben. Der Effekt verschwindet, sobald sich die Ansammlungen von Harnsäure im Gewebe abgebaut haben.
Was bringt die Harnsäure zum Kristallisieren?
Die Harnsäure geht unter gewissen Bedingungen in feste Kristallform über und kann sich unter gewissen Bedingungen auch wieder verflüssigen. Die Kristallisation der Harnsäure ist also ein umkehrbarer Vorgang.
Hohe Harnsäurekonzentration
Oft kann man lesen, dass die Harnsäure ab einer bestimmten Harnsäurekonzentration im Blut kristallisiere. Die physiologische Sättigungsgrenze liege bei 6,8 mg / dl. Allerdings kristallisiert die Harnsäure normalerweise nicht da, wo man ihre Konzentration misst. Zwei einflussreiche Faktoren verhindern die Kristallbildung im Blutkreislauf, nämlich die warme Temperatur des Blutes und dessen schwach basischer pH-Wert (7,4). Hingegen findet die Harnsäure kristallisationsfördernde Bedingungen in einem sauren Milieu und in gering durchblutetem, eher kühlem Gewebe. Zudem kristallisiert sie leichter, wenn Kristallisationshemmer wie Citrat oder Magnesium fehlen.
Übersäuerung (niedriger pH-Wert)
Die Harnsäure neigt in einem sauren Milieu zur Kristallbildung. Dies gilt für sauren Urin genauso wie für saure Gelenkschmiere (Synovia). Diese kann durch verschiedene Faktoren sauer werden, wie Entzündungen, Dehydrierung, Nähstoffmangel, oder weil sich Stoffwechselabfälle darin ansammeln, einschliesslich der Harnsäure (sie ist selber eine schwache Säure).
Lokal niedrige Körpertemperaturen
Gelenke – insbesondere in den Beinen und den Armen –sind deutlich kühler als die inneren Organe. Die Temperatur des Grosszehengrundgelenkes kann bis zu 10 Grad von der Kerntemperatur abweichen. Dass dieses Gelenk so häufig zum Opfer des ersten Gichtanfalls wird, dürfte an dieser grossen Temperaturdifferenz liegen. Kühlere Temperaturen fördern die Kristallisierung. Gleiches gilt für die Ablagerung von Harnsäurekristallen in Form von Tophi in den Ohrmuscheln oder Fingern.
Was erhöht das Gichtrisiko?
Zu den nicht beeinflussbaren Risikofaktoren zählt man das männliche Geschlecht, ein höheres Alter sowie genetische Faktoren. Beeinflussbar sind hingegen viele andere Risikofaktoren wie:
⦁ Hyperurikämie
⦁ Das metabolische Syndrom (siehe Seite 26)
⦁ Nierenerkrankungen
⦁ Alkoholkonsum
⦁ Zuckerreiche Ernährung
⦁ Purinreiche Ernährung
⦁ Übermässige Proteinzufuhr
⦁ Extremdiäten, Fastenkuren
⦁ Gewisse Medikamente und Therapien
Symptome
Gemäss Lehrbuch kann man vier Phasen oder Stadien der Gicht unterscheiden.
Dazu zählen auch symptomfreie Stadien.
Stadium 1: die Hyperurikämie
Unter der Hyperurikämie versteht man eine hohe Harnsäurekonzentration, die im Blut (Serum) gemessen wird. Sie liegt vor bei einem Serum-Harnsäurewert von über 6,5 mg / dl.
Die Hyperurikämie ist eine reine Labordiagnose . Sie wird häufig zufällig bei einer Blutuntersuchung entdeckt. Sie ist keine Krankheit und bedarf keiner Behandlung.
Jeder dritte Mann geht mit einer Hyperurikämie durchs Leben. Sie ist weit verbreitet und führt nicht zwangsläufig zu einer Gicht. Von 100 Personen mit einer gemessenen Hyperurikämie erkranken nur 50 im Laufe der folgenden fünfzehn ( !) Jahre. Die
Seltener betroffen sind die Gelenke der kleinen Zehen, das Schultergelenk, das Hüftgelenk und das Ellbogengelenk.
«Zieh die Schraube so fest wie möglich an, dann hast du Rheuma. Dreh noch eine Umdrehung weiter, dann hast du Gicht.»
Zitat von Morris Longstreth, amerikanischer Arzt (19. Jh.) –Darstellung von James Gillray (1799).

Stadium 2: der Gichtanfall
Der erste Gichtanfall tritt häufig (aber nicht zwingend) nach mehreren Jahren Hyperurikämie auf. Akut befallen ist meist nur ein einzelnes Gelenk. Die Betroffenen empfinden heftige Schmerzen und reagieren sehr sensibel, wenn die betroffene Körperstelle gedrückt oder auch nur berührt wird. Schon das Aufliegen einer leichten Bettdecke kann zu viel sein.
Das Gelenk ist unter der Entzündungsreaktion oft teigig angeschwollen, heiss, und die gespannte Haut ist von hochroter Farbe. Zuweilen greifen die Entzündungen auf Sehnenscheiden und Schleimbeutel über. Zusätzlich zu den Schmerzen können sich allgemeine Krankheitszeichen wie Fieber, Übelkeit und Kopfschmerzen einstellen.
Weitaus am häufigsten tritt der erste Gichtanfall im Grosszehengrundgelenk auf. Je nach Quelle in 60 bis 90 Prozent der Fälle.
Der erste Gichtanfall reisst sein Opfer meist frühmorgens aus dem Schlaf. Als klassischer Auslöser gilt ein vorangegangenes fleischreiches Abendessen mit viel Alkoholkonsum. Weitere mögliche Auslöser sind Infektionskrankheiten, eine radikale Abmagerungskur, gewisse Medikamente oder
alles, was die Harnsäurebildung in die Höhe treiben oder die Harnsäureausscheidung massiv einschränken kann.
Stadium 3: Zwischen zwei Gichtanfällen
Ohne Behandlung wiederholen sich die Gichtanfälle in unregelmässigen Abständen. Die Symptome können sich mit zunehmender Häufigkeit stärker ausprägen und länger dauern. Zwischen den Gichtanfällen ist man beschwerdefrei.
Stadium 4: die chronische Gicht
Die Gicht ist chronisch, wenn sich über längere Zeit zwei oder mehr Gichtanfälle pro Jahr ereignen oder die Gelenkentzündungen vor sich hinschwelen, ohne Anfälle zu produzieren. Eine chronische Gicht kann Gelenke verformen und Knochen und Gelenkknorpel zerstören. So geht die Gicht im Grosszehengrundgelenk häufig mit dessen Schiefstellung einher, einem Hallux valgus. Die Betroffenen sind in ihrer Beweglichkeit eingeschränkt und empfinden Schmerzen bei Bewegung und Belastung.
Ausserhalb der Gelenke können sich Ablagerungen von Harnsäurekristallen zu knotigen Verdickungen entwickeln,


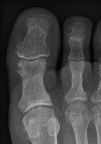
Während die akute Gicht (links) in die Augen fällt, braucht es ein Röntgenbild, um die zerstörerische Wirkung einer chronischen Gicht zu sehen.
den Gicht-Tophi . Man findet sie vor allem in Weichteilen in Gelenknähe, wie in Schleimbeuteln oder Sehnenscheiden, aber auch im Bindegewebe wie Sehnen, Knochen und Knorpel. An Ohren, Ellenbogen, Fingern oder in Augenlidern sind die weissfleckigen Knötchen gut sichtbar und fühlbar. Sie stören, aber verursachen selten Beschwerden.
Die Gicht kann auch innere Organe wie das Herz, den Darm und vor allem die Nieren befallen. Dabei bilden sich aus den Kristallablagerungen Nierensteine. Sie können die Nierenfunktion beeinträchtigen und schlimmstenfalls zu einem Nierenversagen führen. Diese harnsäurehaltigen Nierensteine unterschieden sich von den üblichen Nierensteinen, die sich aus Calcium und Oxalat bilden und keinen Bezug zur Gicht haben. Übrigens hängt die Nierengicht nicht eng mit der chronischen Gelenkgicht zusammen. Sie kann sich auch schon vor dem ersten Gichtanfall entwickeln.
Begleiterkrankungen
Die Gicht ist selten das einzige gesundheitliche Problem. Schätzungen zufolge sind bis zu 75 Prozent der Gichtpatienten vom metabolischen Syndrom betroffen.
Das metabolische Syndrom
Das metabolische Syndrom umfasst vier Komponenten, die teilweise unterschiedlich benannt werden, sich aber zum gleichen Gesamtbild zusammenfügen:
⦁ Übergewicht, Fettleibigkeit, zu viel Bauchfett, ein vergrösserter Bauchumfang
⦁ Bluthochdruck
⦁ erhöhte Blutfettwerte (Cholesterin)
⦁ erhöhte Blutzuckerwerte, Insulinresistenz, Diabetes mellitus Typ 2
Es ist wichtig, die Gicht und das metabolische Syndrom zusammen anzuschauen, weil sie einander beeinflussen und das Risiko für Herz-Kreislauf-Erkrankungen erhöhen.
Fettleber
Oft mit dem metabolischen Syndrom verbunden ist eine nicht-alkoholische Fettlebererkrankung (NAFLD, kurz: Fettleber). Die Fettleber und die Gicht teilen gemeinsame Ursachen und Risikofaktoren, wie eine zuckerreiche Ernährung, eine Insulinresistenz, Übergewicht und damit einhergehende Entzündungen. 9
Diagnose
Die Ärztin oder der Arzt diagnostiziert die akute Gicht aufgrund der Krankengeschichte (Anamnese) und einer körperlichen Untersuchung.
Bei einem eindeutigen Beschwerdebild kann man die Diagnose allein auf dieser Basis stellen. Dabei helfen die Klassifikationskriterien, die sich primär auf die sehr charakteristischen Gichtattacken beziehen.
Labor
Zur Sicherung der Diagnose kann man das betroffene Gelenk punktieren, etwas Gelenkflüssigkeit (Synovia) abziehen und diese unter einem Polarisationsmikroskop betrachten. Die nadelförmigen Harnsäurekristalle (fachsprachlich: Mononatrium-Uratkristalle oder kurz Uratkristalle) lassen sich visuell einfach identifizieren. Um die Gicht von einer akuten infektiösen Arthritis abzugrenzen, führt man bei ausreichender Menge Gelenkflüssigkeit auch eine bakteriologische Untersuchung durch.
Bildgebung
Bildgebende Verfahren kommen nur zum Zuge, wenn die Laboruntersuchungen Zweifel aufkommen lassen. So können Röntgenbilder den Abbau von Knochen- und Knorpelmasse zeigen. Das sind meistens schon Langzeitschäden nach mehrmaligen Gichtanfällen. Gichtknötchen (Tophi) und Ablagerungen von Uratkristallen auf der Knorpeloberfläche lassen sich im Ultraschall oder in der sogenannten Dual-EnergyComputertomographie (DECT) erkennen.
Hyperurikämie?
Da die Gicht und die Hyperurikämie häufig in einem Atemzug genannt werden und diese sogar das erste Stadium jener sein soll, ist zu betonen, dass die Gicht keinesfalls aufgrund einer Hyperurikämie diagnostiziert werden kann. Eine im Blut (Serum) gemessene hohe Harnsäurekonzentration sagt allein noch gar nichts. Zudem kann die Serumharnsäure während eines Gichtanfalls normal oder sogar niedriger konzentriert sein. 10

Die Hyperurikämie wird häufig zufällig bei einer Blutuntersuchung entdeckt. Sie ist weit verbreitet und bedarf keiner Behandlung.
Behandlung und Selbsthilfe
Ein Gichtanfall verlangt Sofortmassnahmen.
Diese zielen auf eine schnelle Entzündungshemmung und beseitigen damit die Symptome. Anders verhält es sich mit einer chronischen Gicht, die langfristig behandelt werden muss.
Was tun beim Gichtanfall?
1 Kälteanwendung: Kühlen Sie das betroffene Gelenk mit einer kalten Kompresse oder Eispackung, aber nicht zu intensiv. Das Eis darf nie direkt auf der Haut liegen, weil dies das Gewebe massiv unterkühlen kann.
2 Ruhigstellung: Versuchen Sie, das betroffene Gelenk zu schonen und nicht zu belasten. Ruhe kann helfen, die Symptome zu lindern.
3 Schmerzmittel: Ibuprofen, Diclofenac und andere nichtsteroidale Antirheumatika (NSAR) reduzieren Entzündungen und Schmerzen. Bei kurzzeitiger Anwendung riskieren Sie kaum, damit dem Magen oder dem Herz-Kreislauf-System zu schaden. Wichtig: Meiden Sie Mittel, die Acetylsalicylsäure (Aspirin ®) enthalten.
4 Flüssigkeitszufuhr: Trinken Sie ausreichend Wasser, um die Nierenfunktion zu unterstützen.
5 Ärztliche Hilfe: Suchen Sie eine Ärztin oder einen Arzt auf, um eine geeignete medikamentöse Behandlung zu erhalten.
Die ärztliche Akuttherapie
Zu den klassischen Gichtmedikamenten zählen Cortison, NSAR und der pflanzliche Wirkstoff Colchicin. Diese Mittel werden oral eingenommen, einzig Cortison kann auch direkt ins geschwollene Gelenk gespritzt werden.
Colchicin kann schwere Magen-Darm-Beschwerden auslösen. Deshalb darf dieses Mittel nicht bei Leberbeschwerden oder einer fortgeschrittenen Niereninsuffizienz gegeben werden.
Einen neueren Therapieansatz bieten Biologika, die gezielt in den zentralen Entzündungsmechanismus der Gicht eingreifen, indem sie die Aktivierung von Interleukin-1 β und Interleukin-18 blockieren. Sie sind nur in Form von Spritzen (Injektionen) oder Infusionen verfügbar.
Die Anti-IL-1-Therapie ist eine Option, wenn die klassischen Gichtmittel zu wenig wirken oder nicht gegeben werden können, etwa bei einer schweren Niereninsuffizienz. Sie ist sehr wirksam, allerdings weiss man über ihre Langzeitfolgen weniger als bei den klassischen Gicht-Therapien.
Gichtanfälle als Nebenwirkung
Sie haben einen Gichtanfall, obwohl Sie eine harnsäuresenkende Therapie begonnen haben? Das ist normal und kein Grund, die Therapie abzubrechen. Gichtanfälle zählen zu den anfänglichen Nebenwirkungen der langfristigen Harnsäuresenkung, die Sie hinnehmen müssen, wenn Sie sich auf diese Therapie einlassen. Um solchen Nebenwirkungen vorzubeugen, kann ein NSAR oder Colchicin gegeben werden.
Wichtiger Hinweis
Medikamente gegen den Gichtanfall machen die anderen Massnahmen nicht überflüssig. Im Gegenteil, das Gelenk zu kühlen, es ruhigzustellen und allenfalls hochzulagern, sowie genügend Wasser zu trinken, unterstützt die medikamentöse Akuttherapie.
Wie kann man die Gicht langfristig behandeln?
Die langfristige Gichtbehandlung zielt darauf ab, die im Blut messbare Harnsäurekonzentration dauerhaft zu senken.
Dies soll das Risiko von Gichtanfällen reduzieren, eine Chronifizierung vermeiden oder eine schon chronische Erkrankung unter Kontrolle bringen. Es geht also um Symptomkontrolle und darum, die Lebensqualität zu verbessern.
Diese Ziele machen die langfristige Gichtbehandlung zu einer Basistherapie . Diese hat zwei miteinander kombinierbare Formen: eine Ernährungstherapie sowie eine medikamentöse Harnsäuresenkung .
Ernährungstherapie zur
Harnsäuresenkung
Eine Ernährungsumstellung bei Gicht hat positive Auswirkungen auf den ganzen Stoffwechsel. Sie senkt nicht nur die Harnsäurekonzentration, sondern normalisiert auch den Fett- und den Zuckerstoffwechsel. Zusammen mit mehr Alltagsbewegung und sportlichem Training kann sie dazu beitragen, Übergewicht abzubauen und einen hohen Blutdruck zu senken. Alle vier Komponenten des metabolischen Syndroms werden dadurch mitbehandelt. Dabei sollte die Gewichtsabnahme langsam erfolgen, denn Schnelldiäten können die Harnsäurebildung ankurbeln.
Schauen Sie nicht nur aufs Purin
Sie finden im Internet zahlreiche Lebensmitteltabellen, die den Puringehalt pro 100 Gramm angeben und teilweise auch noch die Menge Harnsäure, die sich daraus bilden soll. Diese Purin-Tabellen sind informativ, aber Sie sollten die Ernährung nicht auf purinarm reduzieren. Genauso wichtig ist die Einschränkung des Alkoholkonsums. Grundsätzlich zu
empfehlen ist eine ausgewogene Ernährung nach dem Vorbild der fleischarmen Mittelmeerküche oder der ovo-lactovegetarischen Ernährung.
Reduzieren Sie den Alkoholkonsum
Ein hoher Alkoholkonsum hemmt die Ausscheidung von Harnsäure, erhöht deren Bildung und fördert obendrein deren Kristallisierung. Aus diesen Gründen ist bei Alkohol Masshalten geboten. Als Mann dürfen Sie sich täglich maximal 2 Gläser Wein gönnen, ohne das Gichtrisiko merklich zu erhöhen, als Frau maximal 1 Glas. Spirituosen wie Schnaps, Liköre, Gin, Whisky usw. sollten Sie ganz meiden. Generell abgeraten wird auch von Bier, allerdings nicht wegen des Alkohols, sondern wegen des Purins, also auch von alkoholfreiem Bier.
Essen Sie weniger Fleisch
Die grösste Purinquelle in der durchschnittlichen Schweizer Ernährung ist Muskelfleisch von Geflügel, Rind, Schwein und Kalb. Bei einem hohen Fleischkonsum liefern Sie dem Stoffwechsel ständig Purine, aus denen er Harnsäure bilden muss, und geben ihm keine Chance, eine hohe Harnsäurekonzentration abzubauen.
Deshalb lautet eine zentrale Empfehlung der Ernährungstherapie bei Gicht, den Konsum von Muskelfleisch, Wurstwaren, Fleischbouillon und Sulze zu reduzieren. Ganz verzichten sollten Sie auf Innereien wie Leber, Herzen oder Nieren, denn diese Organe sind besonders reich an Purin. Gewöhnen Sie sich an Fleischportionen von unter 100 Gramm pro Tag und ernähren Sie sich in akuten Gichtphasen am besten vegetarisch. Oft wird Gichtbetroffenen empfohlen, auch den Konsum von Fisch und Meeresfrüchten zu senken. Tatsächlich liefern fette Fische wie Lachs, Thunfisch, Makrele, Hering oder Sardine mässig bis viel Purin, aber gleichzeitig auch gesundheitsfördernde Omega-3-Fettsäuren, die bei Gicht schützend wirken können. Deshalb sind Fisch und Meeresfrüchte nicht tabu.
Übrigens hat die Zubereitungsform einen Einfluss: Kochen und Schmoren reduzieren Purin.
Meiden Sie Softdrinks
Eine weitere wichtige Empfehlung: Meiden Sie fructosehaltige Softdrinks und senken Sie den Konsum süsser
Fruchtsäfte ! Diese fluten den Stoffwechsel in der Leber mit viel Fructose und erhöhen so in diesem Organ die Harnsäurekonzentration. Ausserdem führen grosse Mengen Fructose zur Bildung von Fettgewebe in der Leber sowie im Bauch mit der Folge von Fettstoffwechselstörungen, Insulinresistenz und Typ-2-Diabetes.
Zuckeraustauschstoffe wie Sorbit und Xylit wirken ähnlich wie die Fructose. Aber über deren Folgen für die Harnsäurekonzentration gibt es noch keine fundierten Erkenntnisse. Kein Problem ist die Fructose in Obst, das Sie in normalen Mengen essen.
Gewöhnen Sie sich an Fleisch portionen von weniger als 100 Gramm pro Tag und meiden Sie fructosehaltige Softdrinks.


Überdenken Sie den Konsum von Zucker und Kohlenhydraten
Während viel Fructose direkt die Harnsäurebildung ankurbelt, hemmt reichlich Glucose indirekt (über das Insulin) die Harnsäureausscheidung. Glucose konsumieren wir nicht nur in Form von Zucker, sondern auch in Form von Kohlenhydraten, von denen die meisten mehrheitlich aus Glucose bestehen.
Aufgrund einer zucker- und kohlenhydratreichen Ernährung haben viele Menschen einen hohen Insulinspiegel und folglich auch eine höhere Harnsäurekonzentration. Gichtbetroffene tun gut daran, den Konsum von Brot, Teigwaren, Kuchen, Guetzli, Müesli, Schoko- und Getreideriegeln usw. auf ein vernünftiges Mass zu senken.
Salzen Sie mit Mass
Gewöhnen Sie sich stark gesalzenes Essen ab ! Salz kann die Ausscheidung von Harnsäure beeinträchtigen, den Blutdruck erhöhen und damit die Gesamtbelastung für Gichtbetroffene verschärfen.
Empfohlene Nahrungsmittel
Machen Sie Gemüse zum zentralen Bestandteil der täglichen Ernährung. Dabei dürfen Sie auch bei pflanzlichen Nahrungsmitteln zulangen, die in den Purin-Tabellen hohe Werte aufweisen. Das gilt für Hülsenfrüchte wie Erbsen, Bohnen und Linsen ebenso wie für Spargel, Spinat, Kohl und Pilze. Diese Nahrungsmittel mögen zwar viel Purin enthalten, aber Studien zeigen, dass die gesundheitlichen Vorteile einer proteinreichen pflanzlichen Kost überwiegen.
Bevorzugen Sie als Beilage Reis oder Kartoffeln. Beide enthalten wenig Purin.
Zu empfehlen sind auch Milchprodukte. Butter, Rahm, Kefir, Hüttenkäse, Naturjoghurt und Quark sind purinfrei. Die Steigerung des Konsums von Milchprodukten zu Lasten von Fleisch ist eine gut dokumentierte Ernährungsmassnahme zur Gichtbehandlung. 11
Was und wie viel trinken?
Trinken Sie genügend Wasser, denn die Dehydrierung zählt zu den Gichtrisikofaktoren. Empfohlen werden täglich mindestens 2 Liter Wasser oder ungesüssten Kräutertee, etwa
Jedes Gemüse ist bei Gicht okay, sei es reich oder arm an Purin.

Viel Wasser zu trinken, unterstützt den Körper darin, überschüssige Harnsäure auszuscheiden.

mit den auf Seite 38 aufgeführten Heilpflanzen. Kaffee soll sich günstig auf den Purinstoffwechsel auswirken und kann helfen, eine Insulinresistenz zu reduzieren.
Medikamentöse Therapie zur Harnsäuresenkung
Zeitigen eine Ernährungsumstellung und mehr Bewegung keinen Erfolg, wird eine medikamentöse harnsäuresenkende Therapie empfohlen. Speziell empfohlen wird sie bei häufigen Gichtanfällen (mehr als zwei pro Jahr) und allen Anzeichen einer fortgeschrittenen Gicht (Gichtknoten, Gelenkschädigungen, Nierengicht) sowie bei weiteren Risikofaktoren. Die harnsäuresenkende Behandlung ist eine Dauertherapie unter ärztlicher Kontrolle. Sie zielt darauf, einen bestimmten Serum-Harnsäurewert zu erreichen. Die Therapie verlangt eine regelmässige tägliche Medikamenteneinnahme . Wird man nachlässig oder bricht man die Therapie ab, kann es von neuem zu Gichtsymptomen kommen.
Gemäss Behandlungsleitlinien soll die harnsäuresenkende Therapie vorrangig mit einem Xanthinoxidase-Hemmer erfolgen. Diese Medikamente reduzieren die Harnsäurekonzentration, indem sie das Enzym Xanthinoxidase hemmen. Sie brechen dadurch den Purinstoffwechsel vorzeitig ab, ehe sich das Endprodukt Harnsäure bilden kann.
Allopurinol
Der klassische Xanthinoxidase-Hemmer und noch immer das Mittel der ersten Wahl zur medikamentösen Harnsäuresenkung ist Allopurinol. Es muss täglich eingenommen werden. Die Therapie beginnt mit einer geringen Dosis, die allmählich auf das Maximum von 900 mg pro Tag erhöht werden kann.
Allopurinol ist in der Schweiz seit 1970 zugelassen und wird allgemein gut vertragen. Zu den häufigen Nebenwirkungen zählen Magen-Darm-Beschwerden wie Durchfall, Erbrechen
und Übelkeit sowie Gichtanfälle zu Beginn der Behandlung. Selten kommt es zum Allopurinol-Hypersensitivitätssyndrom. Es äussert sich in Juckreiz. Dann ist die Therapie sofort zu stoppen und ärztlicher Rat einzuholen, ehe sich ein sehr schweres und potenziell tödliches Krankheitsbild entwickelt.
Febuxostat
Zweite Wahl ist der Xanthinoxidase-Hemmer Febuxostat. Dieses Mittel wirkt selektiver und stärker als Allopurinol. Die maximale Tagesdosis beträgt 80 mg. Febuxostat wurde in der Schweiz 2009 zugelassen. Zu den häufigen Nebenwirkungen zählen Übelkeit, Kopfschmerzen und Gichtanfälle zu Beginn der Behandlung.
Probenecid
Dritte Wahl ist das urikosurische Mittel Probenecid. Urikosurika wirken nicht auf den Purinstoffwechsel, sondern auf die Nieren, wo sie die Ausscheidung von Harnsäure steigern. Urikosurika können in Kombination mit einem Xanthinoxidase-Hemmer oder alternativ angewendet werden.
Probenecid ist in der Schweiz seit 1960 zugelassen. Es ist täglich einzunehmen. Zusätzlich ist es wichtig, genug Wasser zu trinken, täglich mindestens 2 Liter. Zu den häufigen Nebenwirkungen zählen Magen-Darm-Beschwerden, Kopfschmerzen, Hautreaktionen und Gichtanfälle zu Therapiebeginn.
Diverse Behandlungsformen und Tipps zur Selbsthilfe
Die Gicht begleitet die Menschheit seit der Antike. Entsprechend zahlreich sind die erfahrungsmedizinischen Mittel und Massnahmen zu ihrer Behandlung. Sie wirken schwächer als die modernen Medikamente, können aber die medikamentöse Harnsäuresenkung ebenso wie die Ernährungstherapie ergänzen.
Heilkräuter
Heilkräuter haben eine lange Tradition in der Gichtbehandlung. Zu empfehlen sind Teemischungen, die eine blutreinigende, eine entzündungshemmende und eine schwach harntreibende Wirkung vereinigen. Zum Beispiel ergeben Angelika, Wachholder, Ackerschachtelhalm, Brennnessel, Goldrute, Kamille, Schafgarbe und Süssholz eine ausgewogene Teemischung. Trinken Sie davon während sechs Wochen täglich drei Tassen, um dann ein bis drei Wochen zu pausieren, bevor Sie wiederum sechs Wochen lang Tee trinken. Die Pause soll den Körper daran hindern, sich an die Heilpflanzen zu gewöhnen. Gewöhnung reduziert die Wirkung. 12
Sauerkirschen
Untersuchungen zeigen eine harnsäuresenkende Wirkung von Sauerkirschen. Vermutlich tragen verschiedene Inhaltsstoffe wie Anthocyane (Pflanzenfarbstoffe) und Zitronensäure dazu bei. Unabhängig von der Erntezeit sind konzentrierte Sauerkirschsäfte und andere Produktformen (Extrakte, Pulver) verfügbar. Die aktuelle Studienlage erlaubt aber keine Empfehlung. 13
Zimt und Curcuma
Gewisse Pflanzenstoffe entfalten den gleichen Wirkmechanismus wie Allopurinol: Sie hemmen das Enzym Xanthinoxidase und dadurch die Bildung von Harnsäure. Präklinische Studien bestätigen diese Wirkung von Zimtextrakten, aber es gibt dazu noch keine Untersuchungen mit Gichtbetroffenen. Auch der entzündungshemmende Curcuma-Wirkstoff Curcumin soll die Xanthinoxidase hemmen. Statt viel Geld für Nahrungsergänzungsmittel auszugeben, können Sie Curcuma und Zimt als Gewürze vielfältig in die Ernährung einbeziehen und so zur Entzündungshemmung und vermutlich auch zur Harnsäuresenkung beitragen. 14
Wickel und Umschläge
Während eines Gichtanfalls können kalte Wickel und Umschläge die Schmerzen lindern. Die Wirkung lässt sich mit kühlem Quark, Essig oder Heilerde verstärken. Allerdings kann eine zu starke Kühlung die Kristallisierung von Harnsäure fördern. Zur Linderung der chronischen Gicht werden warme Umschläge empfohlen.
Kühlere Temperaturen fördern die Kristallisierung von Harnsäure. Halten Sie die Füsse warm, indem Sie dicke Socken oder Hausschuhe tragen.

Warme Füsse
Harnsäure kristallisiert gerne bei kühlen Temperaturen. Deswegen wird gichtanfälligen Personen empfohlen, immer Socken oder Hausschuhe zu tragen und sich regelmässig warme Fussbäder oder Wechselduschen (warm / kalt) zu gönnen, die die Durchblutung fördern.
Hilfsmittel
Bei Gelenkschmerzen und Bewegungseinschränkungen in den Füssen erhöhen Badezimmergriffe, Duschhocker oder Gleitschutzstreifen am Boden die Sicherheit bei der Körperpflege. Schränkt die chronische Gicht bereits die Funktion der Hände ein, erleichtern gelenkschonende und kraftsparende Hilfsmittel den Alltag. So zum Beispiel Griffverdickungen, Schreibhilfen oder ergonomische Küchenmesser, Flaschenund Dosenöffner.
Entdecken Sie alle unsere Hilfsmittel auf www.rheumaliga-shop.ch
Prognose
Die harnsäuresenkende Therapie mit einem Xanthinoxidase-Hemmer und / oder einem Urikosurikum hat eine gute Prognose, wenn man sie frühzeitig anfängt und jahrelang konsequent durchführt.
Die anfänglichen Gichtanfälle verschwinden nach wenigen Monaten. Die Gelenke erholen sich, die Gichtknoten bilden sich zurück, und auch Harnsäuresteine in den Nieren können sich auflösen.
Allerdings hapert es häufig mit der Umsetzung. Die Motivation, das Medikament Tag für Tag einzunehmen, lässt früher oder später nach. Vielen ist zu wenig bewusst, wie wichtig es ist, der Therapie treu zu bleiben, einige brechen sie aufgrund der Nebenwirkungen ab. Wenn Sie die Dosis senken oder mit der Therapie aufhören wollen, sollten Sie mit der behandelnden Ärztin oder dem behandelnden Arzt Rücksprache nehmen. Als Grundregel gilt, dass man erst fünf Jahre nach dem letzten Gichtanfall einen ersten Absetzversuch unternehmen solle.
Sie können die Prognose der medikamentösen Therapie deutlich verbessern, wenn Sie die Ernährung umstellen und weitere Lebensstilmassnahmen ergreifen wie regelmässige Alltagsbewegung und sportliche Aktivitäten.
Prävention
Die beste Weise, der Gicht vorzubeugen, ist ein gesunder Lebensstil, insbesondere eine vorwiegend pflanzliche Ernährung und –falls Sie Alkohol trinken – ein massvoller Weinkonsum.
Gegen die genetischen Faktoren, die eine Gicht begünstigen, gibt es keine spezifischen Vorbeugemassnahmen. Es gibt auch keine Gentherapie. Wenn Sie aber Gichtfälle in der familiären Vorgeschichte kennen oder wissen, dass Sie zu erhöhten Harnsäurewerten neigen, sollten Sie diese regelmässig ärztlich messen lassen, um im Falle einer Erhöhung frühzeitig Massnahmen ergreifen zu können.
Pseudogicht
Zusammenfassung
⦁ Die Pseudogicht ist eine gichtähnliche Gelenkserkrankung. Sie kann Gelenke plötzlich entzünden und langfristig zerstören.
⦁ Die Pseudogicht ist weit verbreitet, vor allem unter älteren Menschen.
⦁ Auslöser einer Pseudogicht sind winzige Kristalle, die sich im Stoffwechsel bilden und das Knorpelgewebe verkalken.
⦁ Die Akuttherapie der Pseudogicht unterdrückt die Entzündung und die Schmerzen.
⦁ Es gibt keine ursächliche Therapie der Pseudogicht. Die langfristige Behandlung beschränkt sich auf eine medikamentöse Entzündungshemmung.
Was ist die Pseudogicht?
Die Pseudogicht ist eine gichtähnliche Gelenkerkrankung, die plötzliche heftige Schmerzen hervorrufen kann.
Auslöser sind Calcium-Pyrophosphat-Kristalle (CPP-Kristalle), die vor allem das Knorpelgewebe verkalken. Der Fachbegriff für diesen Vorgang lautet Chondrocalcinose (Knorpelverkalkung). Die Chondrocalcinose selber ist beschwerdefrei (asymptomatisch); erst eine Entzündungsreaktion auf die CPP-Kristalle wird als eine Krankheit angesehen.
Kalk im Getriebe
CPP-Kristalle lagern sich in beiderlei Knorpelgewebe ab, sowohl im Gelenkknorpel wie auch im Faserknorpel, aus dem die Bandscheiben, die Schambeinfuge und die Menisken im Kniegelenk gebildet sind. Auch können sich CPP-Kristalle in der Gelenkschleimhaut (Synovialis), in Sehnen, Bändern und Sehnenansätzen ablagern, wie zum Beispiel in der Rotatorenmanschette der Schulter, ein häufig betroffenes Gelenk. Am häufigsten betroffen sind aber das Knie- und das Handgelenk.
Massive Auswirkungen
Die Pseudogicht verursacht nicht nur Schmerzen, sondern kann Gelenke zerstören. Gelenkzerstörungen im Knie oder Hüftgelenk verringern die Mobilität als Ganzes. Ein Befall von Händen und Schultern schränkt vor allem die Selbständigkeit bei alltäglichen Tätigkeiten wie Körperpflege, Ankleiden und Kochen ein.
Terminologie
Die fachsprachliche Bezeichnung für die Pseudogicht lautet englisch Calcium Pyrophosphate Deposition Disease (Calcium-Pyrophosphat-Ablagerungskrankheit), wofür mehrere Kürzel im Umlauf sind:
CPPDD – entspricht der offiziellen Krankheitsbezeichnung, wobei das erste D für Deposition (Ablagerung, nämlich von CPP-Kristallen) und das zweite D für Disease (Krankheit) steht.
CPDD – eine wenig gebräuchliche Nebenform, die CPP (Calcium-Pyrophosphat) auf CP verkürzt.
CPPD – mit nur einem D für Deposition (Ablagerung) oder Disease (Krankheit). Dieses Kürzel kann Verwirrung stiften, wenn unklar ist, ob der Zustand einer Chondrocalcinose (CPP-Kristallablagerungen, die keine Beschwerden verursachen) oder die Krankheit Pseudogicht (CPP-Kristallablagerungen mit Entzündungsschmerzen) gemeint ist. Zur Verdeutlichung sollte man diesem Kürzel einen Zusatz geben: CPPD Disease .
Zuordnungen
⦁ Im Hinblick auf die Bildung von CPP-Kristallen kann man die Pseudogicht den Stoffwechselkrankheiten zuordnen. Dies ist ein weit gefasster Sammelbegriff für verschiedenartige, mehrheitlich nicht-rheumatische Krankheiten.
⦁ Zudem zählt die Pseudogicht zu den Kristallarthropathien bzw. Kristallarthritiden. Diese kristallinen Gelenkerkrankungen bzw. Gelenksentzündungen bilden eine eigene Untergruppe innerhalb der entzündlichen Formen von Rheuma.
Verbreitung
Von einer Chondrocalcinose sind in der Schweiz zwischen 4 und 7 Prozent der erwachsenen Bevölkerung betroffen. 15
Das sind ungefähr 500’000 Personen. Wie häufig die schmerzhafte Pseudogicht vorkommt, ist dagegen nicht bekannt. Jedenfalls ist die Pseudogicht viel seltener als die asymptomatische Chondrocalcinose.
Wer ist von der Pseudogicht betroffen?
An der Pseudogicht erkranken vor allem ältere Menschen:
6 Prozent der 60- bis 70-Jährigen, 30 Prozent der über 80-Jährigen. Frauen sind deutlich häufiger betroffen als Männer.

Viele Menschen mit einer Pseudogicht sind älter und haben bereits Begleiterkrankungen wie Diabetes, chronische Nierenerkrankungen oder weitere Stoffwechselund Hormonstörungen.
Ursachen
Eine Pseudogicht entsteht, wenn CPPKristalle Entzündungsreaktion hervorrufen.
Eine zentrale Rolle spielen dabei die Fresszellen (Makrophagen) des angeborenen Immunsystems. Sie erkennen die Kristalle und beginnen, sie zu fressen. Dabei setzen sie entzündungsspezifische Immunbotenstoffe (Zytokine) frei, die weitere Immunzellen anlocken. So verstärkt sich die Entzündung.
Das Ganze ist in der Regel eine selbstlimitierende Aufräumaktion. Die Entzündungen klingen auch ohne medikamentöse Behandlung ab, sobald die lokalen Kristallablagerungen hinreichend abgebaut wurden. Bilden sich neue Ablagerungen, können sie abermals eine Entzündungsreaktion auslösen.
Was verursacht eine Pseudogicht?
Über die Ursachen der Pseudogicht gibt es keine sicheren Erkenntnisse. Abgesehen von degenerativen Veränderungen in den betroffenen Geweben, geht man von einer Störung des Pyrophosphatstoffwechsels aus. Dabei wird vermehrt das Energiemolekül ATP (Adenosin-Triphosphat) zu anorganischem Pyrophosphat abgebaut. Ein Überschuss dieser Substanz verbindet sich mit Calcium zu Calcium-Pyrophosphat-Kristallen (CCP-Kristallen).
Da die Pseudogicht familiär gehäuft auftritt, vermutet man, dass auch genetische Faktoren eine Rolle spielen, vor allem, wenn die Betroffenen früh im Leben erkranken und schwere Verläufe haben. Man bringt einzelne Genveränderungen (ANKH, ENPP1) mit der Pseudogicht in Verbindung, sowie andere genetisch bedingte Grunderkrankungen, die den Mineralstoffwechsel stark beeinflussen.
Zugrundeliegende Stoffwechselerkrankungen
Erkranken Personen unter 60 Jahren an einer Pseudogicht, sollte man immer die zugrundeliegende Stoffwechselerkrankung ausfindig machen und diese behandeln. Man spricht in diesen Fällen von einer sekundären Pseudogicht, abhängig von einer (primären) Grunderkrankung.
Überfunktion der Nebenschilddrüse (Hyperparathyreoidismus)
Eine Zellwucherung der Nebenschilddrüsen ist eine relativ häufige Ursache der sekundären Pseudogicht. Zum Problem wird, dass die Tumorzellen zusätzliche Mengen Parathormon produzieren. Dies erhöht den Calciumgehalt im Blut. Man nennt diesen Zustand eine Hyperkalzämie. Diese schädigt die Nieren und führt zu Kalkablagerungen in Gelenken und Weichteilen, bei gleichzeitiger Entkalkung der Knochen.
Eisenspeicherkrankheit (Hämochromatose)
Auch die Eisenspeicherkrankheit (Hämochromatose) kann eine Pseudogicht verursachen. Dabei handelt es sich um genetische bedingte Ablagerungen von Eisen in der Leber, in Gelenken, der Bauchspeicheldrüse und weiteren Organen. Ursache dafür ist eine übermässige Aufnahme von Eisen im Dünndarm. Die grösste Gefahr geht dabei von einer Leberzirrhose (Schrumpfleber) und ihren Folgen sowie einer Herzmuskelerkrankung aus.
Kupferspeicherkrankheit (Morbus Wilson)
Auch die seltene Kupferspeicherkrankheit (Morbus Wilson) kann eine sekundäre Pseudogicht hervorrufen. Die Betroffenen vermögen Kupfer aus der Nahrung nur ungenügend auszuscheiden. Dadurch kommt es zu Kupferablagerungen in der Leber und weiteren Organen.
Magnesiummangel (Hypomagnesiämie)
Eine weitere Grunderkrankung, die Pseudogicht verursachen kann, ist ein chronischer Mangel an Magnesium, dadurch hervorgerufen, dass der Körper im Darm oder in den Nieren zu wenig Magnesium aufnehmen kann. Die Ursache liegt in erblich bedingten Störungen des Mineralstoffwechsels.
Gelenkveränderungen
Auch Gelenkfehlstellungen können zu einer Pseudogicht führen. Diese können angeboren oder durch einen Unfall oder eine Operation verursacht worden sein. Auch Deformationen durch chronische Gelenksentzündungen, zum Beispiel durch eine rheumatoide Arthritis, zählen zu diesen Gelenkveränderungen.
Die Krankheitszeichen einer Pseudogicht ähneln denen einer Gicht, auch in der Art und Weise, wie sie auftreten.
Dem ersten Anfall oder Schub kann eine lange beschwerdefreie Phase der allmählichen Knorpelverkalkung vorausgehen. Diese Chondrocalcinose muss aber nicht zu einer Pseudogicht führen.
Die akute Pseudogicht
Im Akutfall kommt es plötzlich zu einer Gelenksentzündung und zu starken Schmerzen. Das betroffene Gelenk ist angeschwollen und warm, begleitet von einer Hautrötung, und nur noch eingeschränkt beweglich. Die Pseudogicht befällt im Unterschied zur echten Gicht primär grosse Gelenke, vor allem das Kniegelenk, aber auch kleinere Gelenke.
Die akuten Beschwerden einer Pseudogicht können sich unterschiedlich stark ausprägen. Sie klingen im Laufe eines Tages oder in einem Zeitraum von maximal vier Wochen wieder ab. Oft sind die Betroffenen danach längere Zeit ganz beschwerdefrei, ehe es zum nächsten Schub oder Anfall kommt.
Die Pseudogicht befällt im Unterschied zur echten Gicht am häufigsten das Kniegelenk. Hier führt sie oft zu einer Arthrose.

Die chronische Pseudogicht
Die Pseudogicht kann einen chronischen Verlauf nehmen. Die Schmerzen in den Gelenken sind dann in der Regel weniger intensiv, können das tägliche Leben aber dennoch stark einschränken. Zu den weiteren Symptomen einer chronischen Pseudogicht zählen wiederkehrend hohes Fieber und ein allgemeines Krankheitsgefühl.
Eine chronische Pseudogicht kann zu einer Arthrose führen. Davon ist besonders das Kniegelenk betroffen.
Begleiterkrankungen
Man muss die Pseudogicht bei älteren Menschen häufig in einem multimorbiden Rahmen sehen, zusammen mit chronischen HerzKreislauf-Erkrankungen oder degenerativen Gelenkerkrankungen wie der Arthrose.
Wie Post-mortem-Studien zeigen, degeneriert das Knorpelgewebe im Bereich des Sprung- und Fusswurzelgelenkes häufig in dem Masse, wie sich CPP-Kristalle (Pseudogicht) oder auch Harnsäurekristalle (Gicht) darin ablagern. Zu weiteren Begleiterkrankungen der Pseudogicht zählen chronische Nierenerkrankungen, Diabetes mellitus und weitere Stoffwechsel- und Hormonstörungen, die auch als Grunderkrankungen einer sekundären Pseudogicht und als deren Risikofaktoren eingestuft werden.
Diagnose
Die Ärztin oder der Arzt erhebt die Krankengeschichte (Anamnese) und untersucht das betroffene Gelenk.
Zudem kommen weitere diagnostische Verfahren zur Anwendung, um Verwechslungen mit anderen Formen von Rheuma (Gicht, rheumatoide Arthritis, Polymyalgia rheumatica, reaktive Arthritis, Arthrose usw.) auszuschliessen.
Labor
Zur Sicherung der Diagnose kann man das betroffene Gelenk punktieren, etwas Gelenkflüssigkeit (Synovia) abziehen und diese unter einem Polarisationsmikroskop anschauen.
Die rautenähnlich geformten CPP-Kristalle lassen sich visuell eindeutig identifizieren. Der Kristallnachweis gilt als Goldstandard. Eine zusätzliche bakteriologische Untersuchung hilft, eine akute infektiöse Arthritis auszuschliessen.
Bildgebung
Erfahrene Rheumatologinnen und Rheumatologen erkennen CPP-Kristallablagerungen im Ultraschall oder auf Röntgenbildern. Diese zeigen feine streifige Verkalkungen in Längsrichtung der Knochen.
Behandlung und Selbsthilfe
Die akute Pseudogicht kann mit den gleichen Mitteln und Massnahmen behandelt werden wie die echte Gicht. Anders verhält es sich mit der chronischen Form.
Was tun bei einer akuten Pseudogicht?
1 Kälteanwendung: Kühlen Sie das betroffene Gelenk mit einer kalten Kompresse oder Eispackung. Dabei darf das Eis nie direkt auf die Haut zu liegen kommen, weil dies das Gewebe massiv unterkühlen kann.
2 Ruhigstellung: Versuchen Sie, das betroffene Gelenk zu schonen und nicht zu belasten. Ruhe kann helfen, die Symptome zu lindern.
3 Schmerzmittel: Ibuprofen, Diclofenac und andere nichtsteroidale Antirheumatika (NSAR) reduzieren Entzündungen und Schmerzen. Bei kurzzeitiger Anwendung riskieren Sie kaum, dem Magen oder dem HerzKreislauf-System damit zu schaden.
4 Flüssigkeitszufuhr: Trinken Sie ausreichend Wasser, um die Nierenfunktion zu unterstützen.
5 Ärztliche Hilfe: Suchen Sie eine Ärztin oder einen Arzt auf, um eine geeignete medikamentöse Behandlung zu erhalten.
Die ärztliche Akuttherapie
Die Ärztin oder der Arzt behandelt die akute Pseudogicht vorwiegend mit Cortison, dem pflanzlichen Gichtmittel Colchicin oder nichtsteroidalen Antirheumatika (NSAR). Diese Mittel sind oral einzunehmen. Einzig Cortison kann auch direkt ins geschwollene Gelenk gespritzt werden.
Zur Linderung kann es auch beitragen, wenn die Ärztin oder der Arzt mit einer Spritze oder Nadel Gelenkflüssigkeit (Synovia) abzieht. Diese Punktion ist für eine gesicherte Diagnose sowieso nötig.
Wichtig: Medikamente machen die anderen Massnahmen nicht überflüssig. Im Gegenteil, das Gelenk zu kühlen, es ruhigzustellen und allenfalls hochzulagern sowie genügend Wasser zu trinken, trägt zum Erfolg der medikamentösen Akuttherapie bei
Wie lässt sich die Pseudogicht langfristig behandeln?
Es gibt kein Medikament, das die Bildung von CPP-Kristallen hemmen und somit die Verkalkung von Knorpelgewebe und Weichteilen aufhalten würde. Die einzige mögliche medikamentöse Strategie besteht darin, Entzündungsmechanismen zu blockieren mit dem Ziel, dass sich weniger häufig Schübe ereignen.
Medikamente
Zur Entzündungshemmung werden meist nichtsteroidale Antirheumatika (NSAR) in Begleitung eines magenschützenden Mittels und/oder Colchicin in niedriger Dosis angewendet. Bei fehlendem Ansprechen wird auf andere Medikamente zurückgegriffen wie Cortison, Methotrexat oder Hydroxychloroquin. Eine chirurgische Alternative besteht darin, die chronisch entzündete Gelenkschleimhaut eines betroffenen Gelenkes zu entfernen.
Magnesium
Erfahrungsgemäss kann die Zufuhr von Magnesium dazu beitragen, die Häufigkeit von Schüben zu senken. Der Magnesium- und der Calciumstoffwechsel hängen eng zusammen. Ein chronischer Magnesiummangel kann eine sekundäre Pseudogicht verursachen.
Grunderkrankung
Bei einer sekundären Pseudogicht muss die Grunderkrankung behandelt werden, sei dies eine Gelenkfehlstellung oder eine spezifische Stoffwechselerkrankung.
Multimedikation als Risiko
Das hohe Alter der Betroffenen ist eine besondere Herausforderung für die medikamentöse Therapie. Je mehr Medikamente gegen diverse gesundheitliche Störungen und Krankheiten eingenommen werden, desto grösser ist das Risiko, das Arzneistoffe Wechselwirkungen entfalten. Die Multimedikation kann die Wirkung einzelner Medikamente (auch rezeptfreier Arzneimittel und pflanzlicher Präparate) verstärken, verringern oder aufheben.

Hilfsmittel
Bei Gelenkschmerzen und Bewegungseinschränkungen in den Beinen erhöhen Badezimmergriffe, Duschhocker oder Gleitschutzstreifen am Boden die Sicherheit bei der Körperpflege. Schränkt die chronische Pseudogicht bereits die Funktion der Hände ein, erleichtern gelenkschonende und kraftsparende Hilfsmittel den Alltag. Zum Beispiel Griffverdickungen, Schreibhilfen oder ergonomische Küchenmesser, Flaschen- und Dosenöffner.
Entdecken Sie alle unsere Hilfsmittel auf www.rheumaliga-shop.ch
Prognose
Eine chronische Pseudogicht entwickelt sich individuell sehr unterschiedlich. Man sieht Verläufe mit langen beschwerdefreien Phasen ebenso wie häufige Schübe, die die Gelenke deformieren und zu einer Arthrose führen.
Prävention
Es gibt keine Empfehlungen dazu, wie sich einer Pseudogicht vorbeugen liesse.
Nützliche Kontakte
Rheumaliga Schweiz
Tel. 044 487 40 00, www.rheumaliga.ch
Regionale Rheumaligen
Aargau, (siehe Zürich)
Appenzell, (siehe St. Gallen)
Basel, Tel. 061 269 99 50, info.bsbl@rheumaliga.ch
Bern, Oberwallis, Tel. 031 311 00 06, info.be@rheumaliga.ch
Freiburg, Tel. 026 322 90 00, info.fr@rheumaliga.ch
Genf, Tel. 022 718 35 55, laligue@laligue.ch
Glarus, Tel. 078 240 88 48, rheumaliga.gl@bluewin.ch
Graubünden, (siehe St. Gallen)
Jura, Tel. 032 466 63 61, info.ju@rheumaliga.ch
Luzern, Unterwalden, Tel. 041 220 27 95, info.lu.nw.ow@rheumaliga.ch
Neuenburg, Tel. 032 913 22 77, info.ne@rheumaliga.ch
Schaffhausen, Tel. 052 643 44 47, info.sh@rheumaliga.ch
Solothurn, Tel. 032 623 51 71, rheumaliga.so@bluewin.ch
St. Gallen, Graubünden, Appenzell, FL, Tel. 081 302 47 80, info.sgfl@rheumaliga.ch
Tessin, Tel. 091 825 46 13, info.ti@rheumaliga.ch
Thurgau, Tel. 071 688 53 67, info.tg@rheumaliga.ch
Uri, Schwyz, Tel. 041 870 40 10, info@ursz.rheumaliga.ch
Waadt, Tel. 021 623 37 07, info@lvr.ch
Wallis (Unterwallis), Tel. 027 322 59 14, info@lrvalais.ch
Zürich, Zug, Aargau, Tel. 044 405 45 50, info@rheumaliga-zza.ch
Über uns
Die Rheumaliga Schweiz ist Anlaufstelle für Betroffene und Fortbildungsstätte für Fachpersonen. Zudem vertreten wir als Dachorganisation die Anliegen von siebzehn regionalen Rheumaligen und sechs nationalen Patientenorganisationen.
Sie haben Rheuma?
Wir unterstützen Sie dabei, die Diagnose und die Therapie zu verstehen, den Alltag zu bewältigen und aktiv, sozial verbunden, erwerbsfähig und selbständig zu bleiben.
Beratung
Wir beraten Sie individuell und unabhängig. Egal, ob Diagnose, Therapie, Job, Versicherungen oder Familie – wir begleiten Sie auf Ihrem Weg mit einer rheumatischen Erkrankung.
Bildung
Wir vermitteln Wissen und fördern Verständnis. Sie entdecken eine Fülle von fachlich geprüften Informationen und praxisnahen Tipps auf unserer Website, im Podcast, auf Social Media sowie in unseren Broschüren.




Bewegung
Wir motivieren Sie, aktiv zu sein – trotz Rheuma. Sie finden dazu Übungsprogramme und fachkundig geleitete Bewegungskurse, angeboten von der Rheumaliga in Ihrer Nähe.
Herzlichen Dank!
Die Rheumaliga Schweiz finanziert sich vorwiegend über Spenden und Zuwendungen. Wir sind eine gemeinnützige Organisation und gehen mit jedem Franken transparent und verantwortlich um. Vielen herzlichen Dank für Ihre Spende!
Spendenkonto
UBS Zürich, IBAN CH83 0023 0230 5909 6001 F
Spendenadresse
Rheumaliga Schweiz, Josefstrasse 92, 8005 Zürich

Tipp
Soll Ihre Spende einem bestimmten Zweck zugutekommen? Dann besuchen Sie unsere digitale Spendenwelt und wählen darin eines unserer aktuellen Angebote aus: spenden.rheumaliga.ch
Weitere Broschüren



Ernährung

Ihren Gelenken zuliebe
Fünf Prinzipen für den Alltag
Erfahren Sie, wie Gelenke funktionieren, warum sie Bewegung und starke Muskeln brauchen und wie man sie durch gelenkschonendes Verhalten schützen kann.
kostenlos, D 350
Genuss mit Wirkung
Ernährung bei entzündlichem Rheuma
Vier übersichtliche Kapitel (Gesunde Fette, Obst und Gemüse, Getränke, Gewürze) vermitteln die Grundlagen einer entzündungshemmenden Ernährung. Ein weiteres Kapitel widmet sich einigen häufigen Fragen zu Themen wie Gluten, Lektin oder der basischen Ernährung.
kostenlos, D 431

Hilfsmittel

Hilfsmittel 2025/26
Kleine Helfer, grosse Wirkung
Unser Katalog präsentiert rund 200 empfehlenswerte Produkte in fünf Kapiteln: Kochen und Essen, Alltag und Freizeit, Ankleiden, Körperpflege, Gesundheit und Wohlbefinden.
kostenlos, D 003
Entdecken Sie alle unsere Publikationen und Hilfsmittel auf www.rheumaliga-shop.ch
Hilfsmittel

Flaschenöffner Pet Boy
Der anschmiegsame
Allesöffner.
CHF 13.80 Art.-Nr. 6301

Rüstmesser 15 cm
Schneiden ohne
Druck auf Gelenke.
CHF 36.60 Art.-Nr. 6902

Gleitschutzstreifen
Gegen die Rutschgefahr in Wanne und Dusche.
CHF 15.90 Art.-Nr. 1301

Glasöffner
Ein Küchenhelfer mit Hebelwirkung.
CHF 26.80 Art.-Nr. 7003

Griffverdickung «GripoBall»
Kleine Allrounder, die alltägliche Greifbewegungen erleichtern.
CHF 20.00 Art.-Nr. 4302

Duschhocker
Für ein Maximum an Sicherheit und Komfort im Badezimmer.
CHF 168.00 Art.-Nr. 2206
Literaturnachweise
1 MacKenzie, C.R. Gout and Hyperuricemia: an Historical Perspective. Curr Treat Options in Rheum 1, 119–130 (2015).
2 Dalbeth N, Gosling AL, Gaffo A, Abhishek A. Gout. Lancet. 2021 May 15;397(10287):1843-1855. doi: 10.1016/S0140-6736(21)00569-9. Epub 2021 Mar 30. Erratum in: Lancet. 2021 May 15;397(10287):1808. doi: 10.1016/S01406736(21)01010-2. PMID: 33798500. – Signalmechanismen bei Entzündungsprozessen. Neu entdeckte Wirkstoffe aktivieren das Inflammasom in Makrophagen, in: Gesundheitsindustrie BW, 18.05.2021.
3 Gröbner, W. (2001). Purinstoffwechsel, in: Nawroth, P.P., Ziegler, R. (eds) Klinische Endokrinologie und Stoffwechsel. Springer, Berlin, Heidelberg.
4 So A, Thorens B. Uric acid transport and disease. J Clin Invest. 2010 Jun;120(6):1791-9. doi: 10.1172/JCI42344. Epub 2010 Jun 1. PMID: 20516647; PMCID: PMC2877959.
5 Tin, A., Marten, J., Halperin Kuhns, V.L. et al. Target genes, variants, tissues and transcriptional pathways influencing human serum urate levels. Nat Genet 51, 1459–1474 (2019).
6 Major, T.J., Takei, R., Matsuo, H. et al. A genome-wide association analysis reveals new pathogenic pathways in gout. Nat Genet 56, 2392–2406 (2024).
7 Fruchtzucker treibt die Harnsäure hoch, in: Ärzte Zeitung, 05.02.2008. – FruktoseKonsum kann Gicht begünstigen, in: Internisten im Netz, 30.01.2019.
8 Ferrannini E, Galvan AQ, Gastaldelli A, Camastra S, Sironi AM, Toschi E, Baldi S, Frascerra S, Monzani F, Antonelli A, Nannipieri M, Mari A, Seghieri G, Natali A. Insulin: new roles for an ancient hormone. Eur J Clin Invest. 1999 Oct; 29(10): 842-52. doi: 10.1046/j.1365-2362.1999.00536.x.
9 Chrometzka, F. Die Zentrale Stellung der Leber im Purinstoffwechsel und ihre Bedeutung für die Pathogenese der Gicht. Klin Wochenschr 15, 1877–1881 (1936).
10 Neue Empfehlungen zur Gichtdiagnostik: Ein hoher Harnsäurewert allein sagt noch gar nichts, in: Medical Tribune, 23.08.2019.
11 Choi HK, Atkinson K, Karlson EW, Willett W, Curhan G. Purine-rich foods, dairy and protein intake, and the risk of gout in men. N Engl J Med. 2004 Mar 11;350(11):1093-103. doi: 10.1056/NEJMoa035700. PMID: 15014182.
12 Marbach, Eva: Gesundheitsratgeber Gicht. Gicht mit Naturheilkunde und Schulmedizin erfolgreich behandeln, Breisach 2010.
13 Zhang Y, Neogi T, Chen C, Chaisson C, Hunter DJ, Choi HK. Cherry consumption and decreased risk of recurrent gout attacks. Arthritis Rheum. 2012 Dec;64(12):4004-11. doi: 10.1002/art.34677. PMID: 23023818; PMCID: PMC3510330.
14 Zimt für einen gesunden Glukose- und Fettstoffwechsel, in: Orthoknowledge, 01.12.2020
15 Rosenthal AK, Ryan LM. Calcium Pyrophosphate Deposition Disease. N Engl J Med. 2016 Jun 30;374(26):2575-84. doi: 10.1056/NEJMra1511117. PMID: 27355536; PMCID: PMC6240444.
Wir danken für die finanzielle Förderung dieses Broschürenprojektes:
A. Menarini GmbH
Streuli Pharma AG
Impressum
Herausgeberin Rheumaliga Schweiz
Autor Patrick Frei, Rheumaliga Schweiz
Fachliche Prüfung
Gicht: Prof. Dr. med. Burkhard Möller, stv. Chefarzt Inselspital, Universitätsspital Bern
Pseudogicht: Dr. med. Franz-Xaver Stadler, Facharzt FMH für Rheumatologie und Innere Medizin, im Ruhestand
Ernährungsempfehlungen: Sybille Binder, dipl. Ernährungsberaterin FH, Institut für integrative Naturheilkunde Nhk
Gestaltung Senn.Studio, Zürich
Druck Ostschweiz Druck AG Bildnachweise
iStockPhoto: Prostock-Studio (S. 16), ZeynepKaya (S. 18), Barcin (S. 24), Davizro (S. 33), Christopher Ames (S. 39), Pressmaster (S. 46), aquaArts studio (S. 51)
Unsplash: Getty Images (Cover), Yunus Tug (S. 28), Jakob Trost (S. 33), Ravi Sharma (S. 35), Janosch Lino (S. 35), Freestocks (S. 57)
Wikimedia Commons: British Museum (S. 7, 23), Stefan Iefnaer (S. 8), Bobjgalindo (S. 12)
radiopaedia.org (S. 24)
Projektleitung Patrick Frei, Rheumaliga Schweiz
© Rheumaliga Schweiz, 2026 (gründlich überarbeitete neue Ausgabe). Alle Rechte vorbehalten.


Absender / Absenderin
Vorname
Rheumaliga Schweiz Josefstrasse 92 8005 Zürich
Name Strasse / Nr.
PLZ / Ort
Datum
Unterschrift
Ich bestelle folgende Artikel:
Ihren Gelenken zuliebe
Broschüre, kostenlos (D 350)
Genuss mit Wirkung
Broschüre, kostenlos (D 431)
Hilfsmittel 2025/26
Katalog, kostenlos (D 003)
Gutes tun, das bleibt
Ein Testament-Ratgeber, kostenlos (D 009)
Flaschenöffner Pet Boy
CHF 13.80* (Art.-Nr. 6301)
Rüstmesser 15 cm
CHF 36.60* (Art.-Nr. 6902)
Gleitschutzstreifen
CHF 15.90* (Art.-Nr. 1301)
Weitere Artikel
* exkl. Versandkosten, Preisänderungen vorbehalten
Ich möchte die gemeinnützige Arbeit der Rheumaliga Schweiz unterstützen. Senden Sie mir entsprechende Informationen.
Ich möchte der Rheumaliga als Mitglied beitreten.
Bitte kontaktieren Sie mich.
Telefonnummer
Die Rheumaliga Schweiz ist Anlaufstelle für Betroffene und Fortbildungsstätte für Fachpersonen. Tel. 044 487 40 00 info@rheumaliga.ch www.rheumaliga.ch

