

La goutte et la pseudogoutte
Deux maladies microcristallines douloureuses
den Alltag



Ceci est une brochure de la Ligue suisse contre le rhumatisme. Elle a vu le jour grâce au soutien financier de deux entreprises :
La Ligue suisse contre le rhumatisme est l’interlocutrice des personnes concernées et l’organisme de formation continue polyvalent pour les professionnels de la santé. Notre offre se concentre sur trois besoins essentiels : le conseil, la formation et l’activité physique.
Ligue suisse contre le rhumatisme
Tél. 044 487 40 00 info@rheumaliga.ch www.ligues-rhumatisme.ch
Table des matières
Avant-propos
Chère lectrice, cher lecteur,
Vous vous étonnez peut-être du titre de cette brochure et vous vous demandez s’il existe réellement deux formes de goutte : une « vraie » et, à côté, une « fausse » goutte. C’est en effet ce que suggère le terme pseudogoutte . Les deux maladies présentent de nombreuses similitudes : elles sont toutes deux liées au dépôt de minuscules cristaux dans les tissus. De plus, en cas de pseudogoutte aiguë, les mêmes mesures sont recommandées et les mêmes médicaments sont utilisés que lors d’une crise de goutte. Les différences apparaissent seulement lorsqu’on examine la situation de plus près – et c’est précisément ce que nous souhaitons faire ici. D’autant plus que la pseudogoutte reste une maladie discrète, souvent méconnue parmi les maladies rhumatismales. Bien qu’elle puisse entraîner des destructions articulaires importantes et compliquer considérablement la vie quotidienne des personnes touchées, elle fait partie des maladies sous-estimées. Nous avons rédigé cette brochure afin d’aider les nombreuses personnes âgées atteintes de pseudogoutte à être prises au sérieux, à recevoir un diagnostic correct et à bénéficier d’un traitement adéquat. C’est pourquoi nous plaçons la pseudogoutte au même niveau que la goutte, même si la taille du texte qui lui est consacré laisse penser le contraire.
La littérature médicale consacrée à la goutte est très vaste, et ce, depuis l’Antiquité. Les personnalités atteintes de cette maladie ne manquent pas, et la recherche moderne s’y penche depuis plus de 300 ans. C’est un domaine foisonnant et respecté. On peut écrire énormément sur le sujet, et surtout sur ses causes et son traitement. Nous adoptons la perspective de la médecine conventionnelle et n’aborderons que brièvement les nombreuses options thérapeutiques élaborées en médecine naturelle au fil des siècles. Cet article ne vous renseignera ni sur les huiles essentielles et sels de Schüssler censés soulager les symptômes, ni sur les bienfaits de l’acupuncture, de la thérapie neuronale ou de l’apithérapie (l’administration de venin d’abeille à visée anti-inflammatoire).
Attention, cette brochure ne remplace pas une consultation médicale. Elle a été rédigée uniquement à titre informatif, afin d’améliorer les connaissances et de combler les lacunes éventuelles. En effet, des études montrent que les personnes qui comprennent leur maladie et participent au processus thérapeutique manifestent moins d’inquiétude et se sentent davantage en confiance. Elles n’ont pas l’impression de subir les décisions médicales ; elles jouent un rôle actif dans leur traitement.
Votre Ligue suisse contre le rhumatisme
⦁ La goutte peut enflammer les articulations, affecter les organes internes et provoquer des nodules goutteux.
⦁ Une crise de goutte est extrêmement douloureuse. La première se manifeste souvent dans l’articulation de base du gros orteil.
⦁ La goutte est due à une accumulation d’acide urique dans le sang (hyperuricémie). L’acide urique forme de minuscules cristaux qui déclenchent une réaction inflammatoire.
⦁ Le traitement aigu vise à soulager les douleurs et à réduire l’inflammation.
⦁ Le traitement à long terme a pour objectif de réduire suffisamment la concentration d’acide urique pour empêcher la formation de nouveaux cristaux et faire disparaître les cristaux existants. Pour cela, on recommande d’adapter son alimentation, souvent en lien avec une perte de poids et une activité physique régulière. Un traitement médicamenteux peut être instauré sous surveillance médicale pour abaisser le taux d’acide urique.
Qu’est-ce que la goutte ?
La goutte est une maladie qui provoque d’intenses douleurs articulaires.
Dans la majorité des cas, elle est due à un problème rénal empêchant la bonne élimination de l’acide urique, ce qui augmente sa concentration dans le sang. L’acide urique forme de minuscules cristaux qui s’accumulent alors dans l’organisme. On distingue trois formes de goutte, selon l’emplacement cristaux :
La goutte articulaire
Cette forme prend généralement naissance dans une seule articulation. Une crise inflammatoire aiguë soudaine fait gonfler l’articulation et occasionne des douleurs intenses. Après une phase sans symptômes plus ou moins longue, la crise se répète, dans la même articulation ou ailleurs. Petit à petit, une maladie articulaire chronique s’installe.
La goutte qui affecte les organes
La goutte peut aussi se manifester dans les organes internes comme le cœur, l’intestin et surtout les reins. La goutte rénale se caractérise par des calculs rénaux d’acide urique se formant à partir des dépôts de cristaux.
La goutte tophacée
Hors des organes et des articulations, les cristaux d’acide urique peuvent aussi évoluer en nodules goutteux, les tophi. On les trouve dans les parties molles et le tissu conjonctif, comme le pavillon de l’oreille ou le coude.
Terminologie
Le terme latin qui correspond à l’acide urique est acidum uricum ou urica . On emploie aussi, plus rarement, le terme « arthrite urique » pour faire référence à la goutte.
Classification
⦁ On classe la goutte parmi les maladies métaboliques , car elle perturbe le métabolisme de l’acide urique. Le terme de « maladie métabolique » est générique ; il englobe différentes pathologies, généralement non rhumatismales.
⦁ Même si sa forme articulaire aiguë atteint souvent une seule articulation, la goutte est une maladie systémique (comme la majorité des maladies métaboliques), car elle a des répercussions sur l’ensemble de l’organisme.
⦁ La goutte articulaire fait également partie des arthropathies et des arthrites cristallines. En rhumatologie, ces termes regroupent les maladies et inflammations articulaires liées à l’accumulation de cristaux. Elles constituent un sous-groupe spécifique au sein des formes inflammatoires de rhumatismes.
Un peu d’histoire
La goutte et la compréhension que l’on en a ont déjà une longue histoire ; on la trouve mentionnée jusque dans l’Antiquité. 1
Goutte et style de vie
La plus ancienne description médicale de la goutte date d’Hippocrate, qui a fondé une école de médecine à Kos, île de l’est de la mer Égée, en 400 av. J.-C. Il associait la goutte à un style de vie malsain, la surnommant « l’arthrite des riches ». Elle est d’ailleurs toujours considérée comme la maladie de l’opulence. À l’époque, la goutte était un mal dont souffraient principalement les hommes qui s’accordaient des mets copieux et buvaient sans retenue, comme en témoignent les nombreuses illustrations et caricatures réalisées au fil des siècles.
Goutte due à une vie de luxe : représentation de George Cruikshank (1818).

La goutte et l’hyperuricémie
Les médecins ont longtemps cherché à expliquer les causes de la goutte. Arétée de Cappadoce (un médecin grec qui a vécu sous le règne de l’empereur Hadrien) considérait qu’un poison présent dans le sang était à l’origine de la goutte. Il a fallu attendre le XIXe siècle pour qu’un médecin anglais, Alfred Baring Garrod, identifie l’acide urique comme substance responsable de la goutte et parvienne à le détecter dans le sang des personnes atteintes. Depuis, la médecine considère que la goutte et l’hyperuricémie (un taux élevé d’acide urique dans le sang) sont étroitement liées.
Les plantes médicinales pour traiter la goutte
A la fin de l’Antiquité, on traitait déjà les crises de goutte par la colchicine, une substance tirée du colchique d’automne (Colchicum autumnale). Les travaux du médecin byzantin Alexandre de Tralles, vers 600 av. J.-C., sont les premiers à documenter son emploi. Cette tradition s’est ensuite perdue jusqu’à ce qu’on redécouvre cette plante médicinale au XVIIe siècle. La colchicine fait aujourd’hui toujours partie des médicaments antigoutteux.

La colchicine, substance végétale, est employée dans le traitement aigu de la goutte.
J-C.
L’histoire de la goutte en quelques dates
Découverte de l’allopurinol. 400
J-C.
Hippocrate fournit la première description clinique de la goutte.
Arétée de Cappadoce postule qu’un poison présent dans le sang est à l’origine de la goutte.
Galien fournit la première description clinique des nodules goutteux.
Alexandre de Tralles conseille de traiter la goutte avec de la colchicine.
Première mention du terme « goutte » (« gote » à l’époque).
Antoni van Leeuwenhock découvre la structure cristalline des nodules goutteux lorsqu’il en examine un échantillon au microscope.
Thomas Sydenham détermine que la goutte est une forme d’arthrite à part entière.
William Hyde Wollaston décrit les cristaux d’acide urique.
Alfred Barring Garrod démontre qu’il existe un lien entre la goutte et l’hyperuricémie.
Prévalence
En Suisse, environ 2 % de la population adulte est atteinte de goutte, ce qui représente 146 000 personnes.
Le nombre de cas a augmenté ces dernières années et, selon les estimations, cette tendance se maintiendra à l’avenir.
La goutte chez l’homme
Les hommes sont plus souvent concernés que les femmes ; ils représentent entre 75 et 95 % des cas. Chez les hommes de plus de 40 ans, la goutte est la maladie articulaire inflammatoire la plus fréquente. Elle affecte 8 % des hommes à partir de 65 ans, c’est-à-dire 70 000 hommes âgés en Suisse.
La goutte chez la femme
Les hormones sexuelles féminines favorisent l’élimination de l’acide urique et exercent un effet anti-inflammatoire. Les femmes aux taux d’œstrogènes élevés et les femmes préménopausées sont donc rarement atteintes de goutte. Chez les femmes, la goutte est la plupart du temps la conséquence de régimes draconiens.
Causes
La goutte est due à une réaction inflammatoire causée par l’accumulation de cristaux d’acide urique.
Au début, des macrophages du système immunitaire inné absorbent les cristaux d’acide urique et tentent de les dégrader à l’aide d’enzymes spécifiques. Ce faisant, ils libèrent un complexe protéique nommé inflammasome (NLRP3).
Celui-ci active à son tour des interleukines pro-inflammatoires (des messagers du système immunitaire), en particulier l’interleukine-1β .
D’autres messagers et cellules immunitaires entrent en jeu sous l’influence des interleukines. Petit à petit, ces processus inflammatoires acidifient l’articulation atteinte.
La limite de solubilité de l’acide urique baisse, de sorte que les nouveaux cristaux qui se forment durant les crises de goutte alimentent l’inflammation.
Tous ces facteurs accélèrent le processus inflammatoire. Lorsque l’accumulation de cristaux cesse ou qu’une quantité suffisante est éliminée, la réaction diminue à nouveau.
Les crises de goutte sont une sorte de « nettoyage » autolimité. Les symptômes disparaissent au bout de quelques heures, quelques jours ou, au plus, en deux semaines, même sans traitement médicamenteux.
La littérature spécialisée considère qu’une goutte aiguë est une réaction inflammatoire massive en action. Cette description objective correspond au ressenti des personnes concernées, qui se plaignent souvent de douleurs articulaires intolérables.
Cette réaction inflammatoire n’a aucune caractéristique auto-immune. La goutte n’est donc pas une maladie autoimmune, mais on la confond parfois avec l’arthrite psoriasique qui, elle, en est une. 2
Quelles sont les causes de la goutte ?
Il est possible de surprendre « en flagrant délit » les causes de la goutte au moment d’une crise. Il suffit pour cela d’insérer une aiguille creuse dans la capsule de l’articulation atteinte, d’aspirer une petite quantité de liquide synovial et de l’examiner au microscope à lumière polarisée, à la recherche de cristaux en forme d’aiguilles. Une goutte de liquide suffit.
La présence de cristaux d’acide urique est une preuve solide. Il s’agit d’ailleurs du gold standard du diagnostic de la goutte. Mais pourquoi des cristaux d’acide urique s’accumulent-ils ? Qu’est-ce qui explique cet excédent ? D’ailleurs, qu’est-ce que l’acide urique ?
Qu’est-ce que l’acide urique ?
L’acide urique est un produit de la métabolisation des purines . Les purines sont des composantes essentielles de l’ADN et de l’ARN. Elles stockent et transportent notre bagage génétique. On en retrouve dans toutes les cellules végétales, animales et humaines.
La majorité d’entre elles sont produites durant la digestion, lorsque le corps dégrade les cellules d’aliments d’origine végétale ou animale. Les purines proviennent aussi de la métabolisation des cellules de l’organisme. Certaines coenzymes intervenant dans le métabolisme de l’énergie sont une troisième source de purines, car leur dégradation en libère aussi.
Le foie et, dans une moindre mesure, l’intestin grêle, métabolisent toutes ces purines et les transforment en acide urique . Le corps humain en bonne santé produit environ 0,7 g d’acide urique par jour. Il s’en sert par exemple pour former des antioxydants ou pour stabiliser la tension artérielle. Il l’utilise avec parcimonie, puisque 90 % de l’acide urique
filtré par les reins est réacheminé dans l’organisme. L’acide urique est éliminé par l’urine et, dans une moindre mesure, par les selles. 3
Qu’est-ce qui explique l’excédent d’acide urique ?
L’excédent d’acide urique est dû à une production trop importante lors de la métabolisation, ou à une élimination insuffisante par les reins. Ces deux mécanismes engendrent une élévation mesurable de la concentration d’acide urique dans le sang, nommée « hyperuricémie » . 4 Parmi les causes d’hyperuricémie, on retrouve une alimentation riche en purines, des troubles congénitaux de la métabolisation des purines ou certaines maladies qui augmentent la production d’acide urique. Une réduction de la capacité d’élimination de l’acide urique par les reins peut avoir des causes multiples : des facteurs génétiques, le style de vie, certains médicaments ou encore une intoxication au plomb.
Les cristaux d’acide urique en forme d’aiguilles dans le liquide synovial, typiques de la goutte, observés au microscope à lumière polarisée.

La goutte a-t-elle des origines génétiques ?
Des membres de votre famille sont atteints de goutte ?
Votre grand-père, votre père, votre oncle ou vos tantes ?
Si c’est le cas, votre famille a peut-être des prédispositions génétiques. En effet, diverses modifications génétiques entravent la capacité d’élimination de l’acide urique par les reins. Des défauts dans certaines enzymes qui augmentent la production d’acide urique lors de la métabolisation des purines sont plutôt rares.
Il existe des études d’association pangénomiques (GWAS) à ce sujet. Elles consistent à comparer à grande échelle les données génétiques de personnes en bonne santé et de personnes malades pour identifier un marqueur spécifique et calculer la fréquence des loci dans le génome des personnes malades par rapport à celui des personnes saines. Un locus (pluriel : loci) est la position physique d’un gène sur l’ADN.
⦁ D’après une GWAS menée en 2019, on dénombre 183 loci associés au marqueur d’hyperuricémie. Ces résultats se rapportent au génome et aux taux d’acide urique de près d’un demi-million de personnes. 5
⦁ En 2024, une GWAS plus vaste encore a identifié 277 loci. Pour ce faire, les chercheurs ont analysé les données de 2,6 millions de personnes, parmi lesquelles 120 000 personnes atteintes de goutte. 6
Les GWAS montrent que la goutte est une maladie polygénique (déterminée par de nombreux gènes, ou loci). Ces associations ne sont toutefois que des corrélations et ne prouvent pas de lien de causalité : la présence de certaines variantes génétiques n’entraîne pas automatiquement la goutte. On ne peut donc pas en déduire une thérapie génique.
Des habitudes de vie qui favorisent la goutte
Depuis l’Antiquité, on supposait que la goutte était liée au mode de vie, en particulier à l’alimentation .
Aujourd’hui, on sait qu’une surconsommation de purines, de sucres et surtout de fructose isolé augmente la production d’acide urique, alors que d’autres facteurs alimentaires inhibent son élimination. Un excès d’alcool est problématique dans les deux cas.
La consommation d’alcool
D’une part, l’alcool favorise la production d’acide urique. En effet, sa métabolisation produit des acétates. Or leur transformation nécessite de l’adénosine triphosphate, ou ATP (une source d’énergie), ainsi que d’autres produits qui interviennent dans la dégradation des purines.
D’autre part, l’alcool augmente la formation d’acide lactique (lactate) via divers mécanismes. Celui-ci est excrété par les reins comme l’acide urique, mais il est prioritaire. Ainsi, une consommation excessive d’alcool limite la capacité des reins à éliminer l’acide urique.
Les purines
La quantité d’acide urique accumulée dans l’organisme augmente avec la quantité de purines métabolisées ou provenant directement de l’alimentation. C’est la raison pour laquelle une alimentation riche en viandes et autres aliments contenant des purines élève le taux d’acide urique dans l’organisme. Par ailleurs, les régimes draconiens et les chimiothérapies augmentent brutalement le nombre de cellules dégradées, ce qui entraîne une surproduction de purines, et donc d’acide urique.

Le fructose
Attention aux régimes extrêmes !
Lorsque l’apport calorique baisse sous une certaine limite pendant plus de trois jours, le corps active un mécanisme de survie et couvre lui-même ses besoins énergétiques en puisant dans les muscles. Les purines ainsi libérées vont rapidement faire augmenter la production d’acide urique. En parallèle, les processus métaboliques ralentissent lorsqu’on jeûne. D’autres facteurs entravent aussi l’élimination d’acide urique. Lorsque ces conditions particulières sont réunies, les femmes dont le taux d’œstrogènes est élevé peuvent aussi développer la goutte.
Le corps utilise également le fructose (le sucre dans les fruits) pour produire de l’acide urique, la source primaire étant le fructose isolé, et la source secondaire le sucre ordinaire (saccharose). La métabolisation du fructose par le foie est en effet un processus particulier qui dégrade de grandes quantités d’adénosine triphosphate (ATP) en adénosine monophosphate (AMP). L’AMP est ensuite métabolisée en purines, puis transformée en acide urique. La consommation de sodas illustre bien l’effet du fructose sur la production d’acide urique. Un seul verre, et le taux sanguin mesurable d’acide urique augmente déjà rapidement. 7
Le glucose
Le glucose et le fructose sont tous deux des sucres simples mais, contrairement au fructose, le glucose inhibe l’élimination d’acide urique. Le glucose passe directement dans le sang. Le pancréas libère l’hormone insuline dans la circulation sanguine pour protéger les cellules et les vaisseaux sanguins d’une hyperglycémie. Il redirige le glucose vers les cellules dans lesquelles les molécules de sucre servent au métabolisme énergétique ou au stockage du glycogène.
L’effet régulateur de l’insuline sur la glycémie n’influence certes pas directement le taux d’acide urique, mais une grande quantité d’insuline dans les reins a un effet négatif pour les protéines de transport qui participent à l’élimination de l’acide urique. Par conséquent, une alimentation riche en glucides et en sucre (pains, pâtes, et gâteaux) augmente la glycémie, puis le taux d’insuline, lequel inhibe à son tour l’élimination de l’acide urique. 8
Les protéines
Consommées en excès, les protéines peuvent limiter l’élimination de l’acide urique. Ici, c’est le principal produit de la métabolisation des protéines, l’urée, qui pose problème. A ne pas confondre avec l’acide urique ! Lorsqu’un excédent d’urée est dégradé, il fait concurrence aux voies d’élimination de l’acide urique dans les reins. Plus la quantité d’urée à éliminer est importante, moins les reins dégradent l’acide urique.
Le sel
Le sel de cuisine (chlorure de sodium) n’a aucun effet direct sur la formation d’acide urique, mais les répercussions d’une alimentation trop riche en sel sur la tension artérielle, le métabolisme et les reins peuvent favoriser ou aggraver la goutte.

Le sport de compétition
Du shake protéiné à la crise de goutte
Certains adeptes de musculation apprécient les produits censés favoriser la prise de muscles comme les préparations ultraprotéinées ou la créatine. Or ces produits représentent une charge supplémentaire pour le métabolisme et, surtout, pour les reins. En effet, les reins doivent à la fois éliminer l’urée libérée par le métabolisme des protéines et l’acide urique produit avec le métabolisme des purines. Puisque l’urée est prioritaire, un apport excessif de protéines peut inhiber l’élimination de l’acide urique à tel point que l’excédent se cristallise. Les hommes jeunes, minces et sportifs ne sont donc pas nécessairement épargnés par la goutte.
Alors que l’activité physique modérée normalise le taux d’acide urique, le sport de compétition augmente la dégradation cellulaire et l’utilisation de l’ATP, et donc la production d’acide urique.
Le stress
Le stress chronique figure aussi parmi les facteurs liés au mode de vie qui favorisent la goutte. D’une part, il augmente la dégradation cellulaire, ce qui libère plus de purines. D’autre part, les hormones du stress (le cortisol, la dopamine, la noradrénaline et l’adrénaline) inhibent l’élimination de l’acide urique.
Les médicaments qui favorisent la goutte
Les médicaments et traitements utilisés en oncologie
Les cytostatiques (des médicaments qui inhibent la croissance cellulaire) sont les principaux responsables de la libération d’acide urique. Ils détruisent de nombreuses tumeurs et autres cellules dans le cadre d’une chimiothérapie, ce qui produit une grande quantité de purines, à leur tour dégradées en acide urique. Certains cytostatiques entravent par ailleurs la fonction rénale. Les reins dégradent alors une quantité plus faible d’acide urique. On retrouve également ces deux effets en radiothérapie.
Les diurétiques
Les diurétiques (des médicaments qui stimulent la production d’urine) réduisent l’élimination de l’acide urique. Bien qu’ils favorisent l’élimination de l’eau et des électrolytes par les reins, ce n’est pas forcément le cas de l’acide urique. Au contraire, ils peuvent rediriger dans la circulation sanguine l’acide urique filtré du sang dans les tubules rénaux.
Les immunosuppresseurs
La cyclosporine A et le tacrolimus inhibent eux aussi l’élimination de l’acide urique. Ces deux médicaments ont été développés pour être employés lors de transplantations, mais ce sont aussi des traitements de fond contre les rhumatismes, en particulier les collagénoses et les vascularites.
L’acide acétylsalicylique (AAS)
A faible dose, l’acide acétylsalicylique (AAS) – mieux connu sous le nom d’Aspirine ® – inhibe l’élimination de l’acide urique. A forte dose, il a l’effet inverse.
Les médicaments qui abaissent le taux d’acide urique
L’allopurinol et d’autres médicaments visant à diminuer le taux d’acide urique utilisés dans le traitement à long terme de la goutte provoquent parfois aussi des crises au début du traitement. En effet, ils réduisent la concentration d’acide urique dans le sang, ce qui augmente la capacité des vaisseaux sanguins à absorber l’acide urique. Une plus grande quantité d’acide urique passe alors dans le sang et y accroit sa concentration. L’effet disparaît dès que les accumulations d’acide urique dans les tissus ont été éliminées.
Comment l’acide urique se
cristallise-t-il ?
L’acide urique se cristallise ou retrouve sa forme liquide dans certaines conditions bien précises. Sa cristallisation est donc réversible.
L’hyperuricémie
On lit souvent que l’acide urique se cristallise à partir d’une concentration sanguine spécifique. Le seuil de saturation physiologique est de 6,8 mg/dl, mais l’acide urique ne se cristallise généralement pas là où on le mesure. Deux facteurs principaux empêchent la formation de cristaux dans la circulation sanguine : la température du sang et son pH légèrement basique (7,4). L’acide urique a plus facilement tendance à se cristalliser dans un milieu acide, dans des tissus plutôt froids, peu irrigués, et en l’absence de citrate ou de magnésium.
L’acidose (pH faible)
Comme évoqué ci-dessus, l’acide urique se cristallise dans un milieu acide – que ce soit dans l’urine ou le liquide synovial. Ces deux liquides s’acidifient pour plusieurs raisons : une inflammation, une déshydratation, une carence en nutriments ou une accumulation de produits de métabolisation, y compris l’acide urique (qui est un acide faible).
Des températures corporelles basses localisées
Les articulations – celles des jambes et des bras en particulier – sont nettement plus froides que les organes internes. Dans l’articulation du gros orteil, la température peut même varier de 10 degrés par rapport à la température de l’organisme. Or le froid favorise la cristallisation. Cela explique sans doute pourquoi cette articulation est si souvent la première atteinte en cas de crise de goutte. L’accumulation de cristaux d’acide urique sous forme de tophi dans le pavillon de l’oreille ou dans les doigts suit le même principe.
Quels facteurs augmentent le risque de goutte ?
Le sexe masculin, l’âge avancé et les facteurs génétiques sont des facteurs de risque invariables. Parmi les nombreux facteurs de risque modifiables, on retrouve :
⦁ l’hyperuricémie
⦁ le syndrome métabolique (voir page 26)
⦁ les maladies rénales
⦁ la consommation d’alcool
⦁ une alimentation riche en sucres
⦁ une alimentation riche en purines
⦁ une surconsommation de protéines
⦁ les régimes extrêmes et le jeûne
⦁ certains médicaments et traitements
Symptômes
D’après la littérature publiée sur le sujet, on distingue quatre phases (ou stades) de goutte, dont certaines sont asymptomatiques.
Le stade 1 : l’hyperuricémie
L’hyperuricémie correspond à un taux élevé d’acide urique dans le sang (sérum), supérieur à 6,5 mg/dl. C’est un diagnostic de laboratoire, souvent détectée par hasard lors d’un examen sanguin. Ce n’est pas une maladie et elle ne nécessite aucun traitement.
D’ailleurs, un homme sur trois sera concerné au cours de sa vie. L’hyperuricémie est très courante et n’entraîne pas nécessairement une goutte. Sur 100 personnes, seules 50 tomberont malades durant les 15 ( ! ) années qui suivront.
Le stade 2 : la crise de goutte
La première crise de goutte se produit souvent (mais pas obligatoirement) après plusieurs années d’hyperuricémie. La plupart du temps, elle se manifeste dans une seule articulation.
Les cinq articulations les plus sujettes à la goutte
1 L’articulation du gros orteil
2 La cheville/le tarse
3 Le genou
4 Le doigt
5 Le poignet
Les articulations des autres orteils, de l’épaule, de la hanche et du coude sont plus rarement atteintes.
« Serre l’étau aussi fort que possible, tu as le rhumatisme.
Donne encore un tour de plus, et là, tu as la goutte. » Citation de Morris Longstreth, médecin américain (XIXe siècle) – Représention de James Gillray (1799).

Elle est aiguë et fait très mal. Les zones atteintes sont très sensibles au toucher, même lorsqu’on ne fait que les effleurer. Le seul fait de poser une légère couverture dessus peut être trop douloureux.
L’articulation atteinte est souvent gonflée et chaude au toucher. La peau est rouge et tendue. Parfois, l’inflammation s’étend aux gaines tendineuses et aux bourses séreuses.
Outre les douleurs, la crise de goutte peut aussi s’accompagner de signes de malaise général comme de la fièvre, des nausées et des maux de tête.
Dans 60 à 90 % des cas selon les sources, la première crise de goutte touche l’articulation du gros orteil. La plupart du temps, la première crise de goutte réveille sa victime tôt le matin. Un souper arrosé et riche en viande la veille est un déclencheur classique. Les infections, une diète extrême, certains médicaments et tout ce qui augmente la production d’acide urique ou entrave massivement son élimination sont autant d’autres déclencheurs possibles.
Le stade 3 : entre deux crises de goutte
En l’absence de traitement, les crises se répètent à intervalles irréguliers. Les symptômes peuvent gagner en fréquence, en intensité et en durée. Entre les crises, la goutte est asymptomatique.
Le stade 4 : la goutte chronique
La goutte devient chronique lorsqu’au moins deux crises se produisent par année, pendant une longue période, ou lorsque des inflammations articulaires sont présentes dans l’intervalle, sans provoquer de crise de goutte. Une goutte chronique peut déformer les articulations et détruire les os et le cartilage articulaire. C’est la raison pour laquelle la goutte de l’articulation du gros orteil s’accompagne souvent d’un hallux valgus, aussi communément appelé « oignon ». L’hallux valgus limite les mouvements et est douloureux lorsque la personne bouge ou sollicite cette zone.
Des cristaux d’acide urique peuvent aussi s’accumuler en dehors des articulations et former des nodules goutteux, les tophi de goutte . On trouve surtout ces tophi dans les tissus mous proches de l’articulation, comme les bourses séreuses


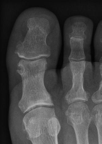
Alors que la goutte aiguë (à gauche) est visible à l’œil nu, il faut une radiographie pour constater les effets destructeurs de la goutte chronique.
ou les gaines tendineuses, mais aussi dans le tissu conjonctif, c’est-à-dire dans les tendons, les os et le cartilage. Des nodules goutteux à taches blanches sont bien visibles et palpables dans les oreilles, les coudes, les doigts ou les paupières. Ils sont gênants, mais provoquent rarement des symptômes.
La goutte peut aussi toucher les organes internes comme le cœur, l’intestin et surtout les reins. Les accumulations de cristaux forment alors des calculs rénaux qui réduisent la fonction rénale et peuvent, dans les cas les plus graves, conduire à une insuffisance rénale. Ces calculs d’acide urique se distinguent des calculs rénaux typiques contenant du calcium et de l’oxalate, sans lien avec la goutte.
La goutte rénale n’est d’ailleurs pas étroitement liée à la goutte articulaire chronique. Elle peut aussi se produire avant la première crise de goutte.
Maladies concomitantes
La goutte est rarement un problème de santé isolé. D’après les estimations, jusqu’à 75 % des cas s’accompagnent d’un syndrome métabolique.
Le syndrome métabolique
Le syndrome métabolique a quatre composantes. Leurs noms varient parfois, mais elles forment le même tableau :
⦁ surpoids, obésité, excédent de graisse abdominale, circonférence abdominale accrue
⦁ hypertension
⦁ hyperlipidémie (cholestérol)
⦁ hyperglycémie, résistance à l’insuline, diabète de type 2
Il est important de considérer la goutte et le symptôme métabolique comme un tout, car ils s’influencent mutuellement et augmentent le risque de maladies cardiovasculaires.
La cirrhose graisseuse
La stéatohépatite non alcoolique (NASH, aussi nommée cirrhose graisseuse) est souvent associée au syndrome métabolique. En effet, la cirrhose graisseuse et la goutte ont des causes et des facteurs de risque communs, tels qu’une alimentation riche en sucres, une résistance à l’insuline, le surpoids et les inflammations qui y sont associées. 9
Diagnostic
Les médecins diagnostiquent la goutte aiguë sur la base des antécédents médicaux des patients (l’anamnèse) et d’un examen physique.
Lorsque le tableau clinique est clair, on peut poser un diagnostic en se basant uniquement sur ces informations, grâce aux critères de classification se rapportant principalement aux crises de gouttes typiques.
Examens de laboratoire
Pour confirmer le diagnostic, on peut faire une ponction dans l’articulation atteinte, prélever une petite quantité de liquide synovial et l’examiner au microscope à lumière polarisée. Les cristaux d’acide urique en forme d’aiguilles (nommés cristaux d’urate monosodique ou cristaux d’urate dans le jargon médical) s’observent facilement. Si la quantité de liquide est suffisante, on procède aussi à une analyse bactérienne pour vérifier qu’il s’agit bien d’une goutte, et non d’une arthrite infectieuse aiguë.
Imagerie
Lorsque les résultats des analyses de laboratoire soulèvent un doute, on les complète par des clichés d’imagerie. Les radiographies montrent par exemple une dégradation de la masse osseuse ou du cartilage. Ces lésions sont généralement présentes depuis longtemps ; elles témoignent de crises de gouttes récurrentes. Les nodules goutteux (tophi) et les accumulations d’urate à la surface du cartilage s’observent facilement à l’échographie ou au scanner spectral en double énergie (DECT).
Et l’hyperuricémie ?
On associe souvent l’hyperuricémie à la goutte, et l’une est parfois le premier stade de l’autre. Mais attention : une hyperuricémie isolée ne suffit pas pour poser un diagnostic de goutte ! Une concentration élevée d’acide urique mesurée dans le sang (sérum) ne signifie rien à elle seule. Pendant une crise de goutte, le taux sérique d’acide urique peut même être normal, voire plus bas que le seuil de référence. 10

L’hyperuricémie est souvent détectée par hasard lors d’un examen sanguin. Elle est très fréquente et ne nécessite généralement aucun traitement.
Traitement et autogestion
Une crise de goutte demande une action immédiate. Il faut réduire rapidement l’inflammation et faire disparaître les symptômes. La goutte chronique, en revanche, requiert un traitement à long terme.
Que faire en cas de crise de goutte ?
1 Traitez par le froid : refroidissez l’articulation avec une compresse froide ou un pain de glace, mais pas de manière trop intensive. Ne posez pas la glace directement sur la peau, car elle refroidirait beaucoup trop les tissus.
2 Mettez l’articulation au repos : essayez de la ménager et de ne pas la solliciter. Le repos peut aider à atténuer les symptômes.
3 Prenez des analgésiques : l’ibuprofène, le diclofénac et d’autres médicaments anti-inflammatoires non stéroïdiens (AINS) diminuent les douleurs et l’inflammation. Sur une courte durée, le risque pour l’estomac ou le système cardiovasculaire est faible. Attention : évitez les médicaments à base d’acide acétylsalicylique (Aspirine ®).
4 Hydratez-vous : buvez suffisamment d’eau pour soutenir la fonction rénale.
5 Consultez : adressez-vous à un médecin pour recevoir un traitement médicamenteux adapté à votre situation.
Le traitement aigu de la goutte
Les traitements classiques de la goutte sont la cortisone, les AINS et la colchicine (une substance active d’origine végétale). On les prend par voie orale. Seule la cortisone est aussi injectée directement dans l’articulation gonflée, selon le cas.
La colchicine provoque parfois de graves troubles gastro-intestinaux. Elle ne doit donc pas être administrée en cas de problèmes de foie ou d’insuffisance rénale avancée.
Une nouvelle méthode thérapeutique consiste à employer des médicaments biologiques. Ceux-ci bloquent l’activation des interleukines-1 β et -18, intervenant de manière ciblée dans le mécanisme inflammatoire principal de la goutte. Ils sont uniquement disponibles sous forme d’injections ou de perfusions.
Le traitement par anti-IL-1 est envisageable lorsque les substances classiques n’agissent pas suffisamment ou ne peuvent être utilisées, par exemple en cas d’insuffisance rénale sévère. Il est très efficace, mais on connaît moins bien ses effets à long terme qu’avec les traitements classiques.
Quand les crises de goutte sont un effet secondaire
Vous avez une crise de goutte alors que vous avez commencé à traiter votre hyperuricémie ? C’est normal. N’arrêtez pas votre traitement pour autant. Les crises de goutte font partie des effets secondaires initiaux liés à la réduction
Remarque importante
La prise de médicaments contre la goutte ne veut pas dire renoncer aux autres mesures, bien au contraire.
Refroidir l’articulation, la mettre au repos et la surélever, le cas échéant, ainsi que boire suffisamment d’eau soutiennent le traitement aigu médicamenteux.
de l’hyperuricémie sur le long terme. Vous devrez malheureusement les endurer si vous choisissez ce traitement. On peut vous donner un AINS ou de la colchicine pour les prévenir.
Comment traite-t-on la goutte à long terme ?
Le traitement à long terme de la goutte vise à réduire durablement le taux d’acide urique mesurable dans le sang. Il a pour objectif de diminuer le risque de crises de goutte, d’éviter que la goutte ne devienne chronique ou bien de la gérer lorsqu’elle l’est déjà. Il s’agit donc de maîtriser les symptômes et d’améliorer la qualité de vie.
Par conséquent, le traitement à long terme de la goutte est considéré comme un traitement de fond . Celui-ci prend deux formes combinables : une adaptation de l’alimentation et un traitement médicamenteux pour faire baisser le taux l’acide urique.
Changer son alimentation pour abaisser le taux d’acide urique
En cas de goutte, le changement d’alimentation est bénéfique pour l’ensemble du métabolisme. Une telle démarche permet non seulement de diminuer le taux d’acide urique, mais aussi de normaliser le métabolisme des graisses et du sucre. Mieux s’alimenter, bouger plus au quotidien et faire plus de sport régulièrement contribuent à la diminution du surpoids et à la baisse de l’hypertension artérielle. On traite ainsi les quatre composantes du syndrome métabolique. La perte de poids doit être lente, car les régimes draconiens peuvent faire grimper les taux d’acide urique.
Ne surveillez pas seulement votre consommation de purines
Le Web regorge de tableaux d’aliments variés indiquant la teneur en purine pour 100 g, et parfois aussi la quantité d’acide urique qu’ils produisent. Ces tableaux sont certes informatifs, mais ne vous contentez pas de choisir uniquement des aliments faibles en purine. La limitation de la consommation d’alcool est tout aussi importante. En principe, on recommande une alimentation équilibrée inspirée du régime méditerranéen pauvre en viande ou du régime ovo-lactovégétarien.
Diminuez votre consommation d’alcool
En grande quantité, l’alcool inhibe l’élimination de l’acide urique, augmente sa production et favorise sa cristallisation. La modération est donc de mise. Les hommes devraient s’en tenir à deux verres de vin par jour au maximum, et les femmes à un verre au maximum. Évitez les spiritueux comme l’eau-de-vie, les liqueurs, le gin, le whisky, etc. On déconseille aussi la bière – non pas à cause de l’alcool, mais parce qu’elle contient des purines (y compris la bière sans alcool).
Mangez moins de viande
En Suisse, la principale source de purine de l’alimentation moyenne est la viande de poulet, de bœuf, de porc et de veau. Lorsque vous mangez beaucoup de viande, vous apportez une grande quantité de purine à votre métabolisme. Il produit alors de l’acide urique sans avoir la capacité d’éliminer le surplus déjà présent.
En nutrition, la diminution de la consommation de viande, de saucisses et de charcuteries, de bouillons de viande et de gelée de viande est la recommandation numéro un en cas de goutte. Renoncez complètement aux abats comme le foie, le cœur ou les reins, car ces organes sont particulièrement riches en purines. Habituez-vous à manger de petites portions de viande de moins de 100 g par jour, et adoptez une alimentation végétarienne pendant les crises de goutte aiguës.
On conseille souvent aux personnes atteintes de goutte de manger moins de poisson et de fruits de mer. En effet, les poissons gras comme le saumon, le thon, le maquereau, le hareng ou la sardine contiennent une quantité moyenne à élevée de purine. En revanche, ils sont une source d’omégas-3 bons pour la santé et ils ont un effet préventif sur la goutte. La consommation de poisson et de fruits de mer est donc possible. Notons aussi que la forme de préparation a un impact sur la teneur en purine, car les plats cuits ou mijotés en contiennent moins.
Evitez les sodas
Autre recommandation importante : évitez les sodas contenant du fructose et buvez moins de jus de fruits sucrés. Leur teneur élevée en fructose surcharge le foie et augmente le taux d’acide urique. Un excès de fructose favorise aussi la formation de tissu adipeux dans le foie et l’abdomen, ce qui mène ensuite à des troubles du métabolisme, une résistance à l’insuline et un diabète de type 2.
Habituez-vous à consommer moins de 100 grammes de viande par jour et évitez les sodas riches en fructose.


Les édulcorants comme le sorbitol et le xylitol ont un effet semblable à celui du fructose, mais leurs répercussions sur le taux d’acide urique n’ont pas encore été démontrées.
Le fructose des fruits que vous consommez en quantités normales ne pose aucun problème.
Réfléchissez à votre consommation de sucre et de glucides
En excès, le fructose augmente directement la production d’acide urique, tandis que le glucose inhibe indirectement son élimination (via l’insuline). Le sucre n’est pas la seule source de glucose. La plupart des glucides sont faits de glucose.
Ainsi, de nombreuses personnes présentent des taux élevés d’insuline et d’acide urique dus à une alimentation riche en sucre et en glucides. Les personnes atteintes de goutte ont donc tout intérêt à modérer leur consommation de pain, de pâtes, de gâteaux, de biscuits, de muesli, de barres de céréales et de chocolat et d’autres sucreries.
Ne salez pas trop vos plats
Perdez l’habitude de manger des plats très salés. Le sel peut entraver l’élimination de l’acide urique, augmenter la tension artérielle et aggraver tous les symptômes de la goutte.
Les aliments recommandés
Veillez à privilégier les légumes au quotidien. Ne renoncez pas aux produits végétaux à forte teneur en purines listés dans les tableaux en ligne comme les légumineuses (les pois, les haricots et les lentilles), les asperges, les épinards, le chou et les champignons. En réalité, des études montrent que les bienfaits d’une alimentation à base de plantes riche en protéines surpassent les effets des purines.
Comme accompagnement, privilégiez le riz ou les pommes de terre, pauvres en purines.
Les produits laitiers sont aussi recommandés. Le beurre, la crème, le kéfir, le fromage cottage, le yoghourt nature et le séré ne contiennent pas de purines. L’augmentation de
l’apport en produits laitiers, au détriment de la viande, est une stratégie bien documentée dans le traitement de la goutte. 11
Tous les légumes conviennent aux personnes souffrant de goutte, qu’ils soient riches ou pauvres en purine.

Boire suffisamment d’eau aide l’organisme à éliminer l’excès d’acide urique.

Que boire, et en quelles quantités ?
Buvez assez d’eau, car la déshydratation fait partie des facteurs de risque de la goutte. On recommande au moins 2 litres d’eau ou de tisane non sucrée par jour. Faites par exemple infuser les plantes médicinales énumérées ci-dessous. Le café est censé améliorer le métabolisme des purines. Il aide aussi à éviter une résistance à l’insuline.
Les traitements médica -
menteux qui abaissent le taux
d’acide urique
On recommande un traitement médicamenteux lorsque les changements apportés à l’alimentation et l’activité physique accrue ne sont pas suffisants, surtout si les crises de goutte sont fréquentes (plus de deux par an), et lorsque tous les signes d’une goutte avancée (nodules goutteux, lésions articulaires, goutte rénale) et d’autres facteurs de risque sont présents.
Ce traitement se fait sur le long terme, sous surveillance médicale. Il vise à atteindre un certain taux sérique d’acide urique et nécessite une prise de médicaments quotidienne. De nouveaux symptômes de goutte peuvent apparaître si le traitement n’est pas suivi rigoureusement, ou s’il est interrompu. Selon les directives thérapeutiques, on emploie en priorité un inhibiteur de la xanthine oxydase. Il réduit le taux d’acide urique en inhibant l’enzyme xanthine oxydase, ce qui interrompt le métabolisme des purines avant qu’il ne produise de l’acide urique.
Allopurinol
L’allopurinol est un inhibiteur classique de la xanthine oxydase. Il reste le traitement de première intention pour abaisser le taux d’acide urique. Il se prend tous les jours. Le traitement commence à faible dose que l’on peut augmenter progressivement jusqu’à un maximum de 900 mg par jour.
L’allopurinol est autorisé en Suisse depuis 1970. Il est généralement bien toléré. Les effets secondaires les plus fréquents sont des troubles gastro-intestinaux (diarrhées, vomissements et nausées), ainsi que des crises de goutte au début du traitement. Dans de rares cas, le traitement peut provoquer un syndrome d’hypersensibilité à l’allopurinol qui se manifeste par des démangeaisons. Il faut alors arrêter immédiatement le traitement et consulter avant qu’il ne s’aggrave et devienne potentiellement mortel.
Fébuxostat
Le fébuxostat est un autre inhibiteur de la xanthine oxydase employé en deuxième intention. Il est sélectif et plus puissant que l’allopurinol. La dose maximale quotidienne est de 80 mg. Il est autorisé en Suisse depuis 2009. Parmi les effets secondaires fréquents on retrouve des nausées, des maux de tête et des crises de goutte au début du traitement.
Probénécide
Le probénécide est un agent uricosurique de troisième intention. Les uricosuriques n’agissent pas sur le métabolisme des purines. Ils augmentent la capacité des reins à évacuer l’acide urique. Ils peuvent être combinés à un inhibiteur de la xanthine oxydase ou le remplacer. Le probénécide est autorisé en Suisse depuis 1960. Il se prend quotidiennement. Il est important de boire au moins 2 litres d’eau par jour pendant le traitement. Parmi les effets secondaires fréquents, on retrouve des troubles gastro-intestinaux, des maux de tête, des réactions cutanées et des crises de goutte au début du traitement.
Diverses formes de traitement et conseils d’entraide
Comme nous l’avons vu, la goutte est connue depuis l’Antiquité. Les substances et mesures tirées de la médecine empirique ne manquent pas ! Elles sont moins efficaces que les traitements de la médecine moderne et les stratégies nutritionnelles contemporaines, mais elles peuvent les compléter.
Plantes médicinales
Les plantes médicinales font partie d’une longue tradition de traitements de la goutte. On recommande les tisanes de plantes dépuratives, anti-inflammatoires et légèrement diurétiques, comme un mélange équilibré d’angélique, de genévrier, de prêle des champs, d’ortie, de verge d’or, de camomille, d’achillée et de réglisse. Buvez-en trois tasses par jour pendant six semaines, puis faites une pause d’une à trois semaines afin d’éviter que le corps ne s’y habitue et que l’effet diminue, avant de reprendre pendant six semaines supplémentaires. 12
Griottes
Des études montrent que les griottes abaissent le taux d’acide urique. Il semblerait que certaines de leurs composantes, comme l’anthocyane (un colorant végétal) et l’acide citrique, contribuent à cet effet. Des jus de griotte concentrés et d’autres produits (extraits, poudres) sont vendus indépendamment de la période de récolte. Les connaissances actuelles ne sont toutefois pas suffisantes pour les recommander.13
Cannelle et curcuma
Certaines substances végétales ont le même mécanisme d’action que l’allopurinol. Elles inhibent l’enzyme xanthine oxydase et empêchent ainsi la formation d’acide urique. Des études précliniques confirment que la cannelle a cet effet, mais aucune analyse n’a été réalisée chez des personnes atteintes de goutte. La curcumine (l’une des composantes principales du curcuma) est anti-inflammatoire et est aussi censée inhiber la xanthine oxydase. Plutôt que de dépenser beaucoup d’argent en compléments alimentaires, vous pouvez intégrer le curcuma et la cannelle à vos plats de manière variée. Ces épices contribuent à l’action anti-inflammatoire et pourraient également aider à réduire le taux d’acide urique. 14
Cataplasmes et enveloppements
Des cataplasmes et enveloppements froids soulagent les douleurs pendant une crise de goutte. Augmentez leur effet rafraîchissant en utilisant du séré, du vinaigre ou de l’argile médicinale. Attention, un froid trop intense favorise la cristallisation de l’acide urique. Pour soulager les symptômes de la goutte chronique, les enveloppements chauds sont recommandés.
Les températures plus fraîches favorisent la cristallisation de l’acide urique. Gardez vos pieds bien au chaud en portant des chaussettes épaisses ou des chaussons.

Pieds au chaud
Comme nous venons de le voir, l’acide urique a tendance à cristalliser à basse température. On recommande donc aux personnes sujettes à la goutte de toujours porter des chaussettes ou des pantoufles, et de prendre régulièrement des bains de pieds ou des douches écossaises (alternance d’eau froide et d’eau chaude) pour stimuler la circulation sanguine.
Moyens auxiliaires
Si vous avez des douleurs articulaires et une mobilité limitée au niveau des pieds, une poignée de baignoire, un tabouret de douche ou des bandes antidérapantes vous aideront à prendre soin de votre corps en toute sécurité. Si une goutte chronique vous empêche déjà d’utiliser vos mains comme avant, des moyens auxiliaires tels que des élargisseurs de poignée et de crayons, des couteaux de cuisine, des ouvre-bouteilles et des ouvre-bocaux ergonomiques ménageront vos articulations et vous feront économiser des efforts au quotidien. Découvrez toutes nos
Pronostic
Un traitement par un inhibiteur de xanthine oxydase et/ou par un uricosurique, débuté suffisamment tôt et bien suivi pendant plusieurs années, donne de bons résultats.
Les crises de goutte initiales disparaissent au bout de quelques mois. Les articulations récupèrent, les nodules goutteux rétrécissent et les calculs d’acide urique dans les reins se dégradent.
Cela dit, il n’est pas toujours évident de suivre le traitement à la lettre sur une longue période. Tôt ou tard, certains patients n’ont plus envie de prendre leur médicament tous les jours. Beaucoup ne réalisent pas à quel point il est indispensable de suivre scrupuleusement leur traitement. Certains l’arrêtent à cause des effets secondaires qu’il provoque. Si vous souhaitez diminuer la dose de votre médicament ou cesser de le prendre, discutez-en avec votre médecin traitant. En principe, on peut envisager d’arrêter le traitement au bout de cinq ans sans crise de goutte. Vous améliorerez nettement le pronostic du traitement médicamenteux en adaptant votre alimentation et en prenant des mesures liées au mode de vie, comme le mouvement quotidien et l’activité physique régulière.
Prévention
La meilleure façon de prévenir la goutte, c’est d’adopter un mode de vie sain, surtout de privilégier une alimentation principalement végétale et, si vous buvez de l’alcool, une consommation modérée.
Malheureusement, on ne peut rien faire contre les facteurs génétiques qui favorisent la goutte. Il n’existe aucune thérapie génique. Néanmoins, si vous avez des antécédents familiaux de goutte ou si vous savez que vous avez tendance à avoir trop d’acide urique dans le sang, faites-vous régulièrement contrôler pour pouvoir réagir à temps, le cas échéant.
La pseudogoutte
Résumé
⦁ La pseudogoutte est une maladie articulaire semblable à la goutte. Elle peut enflammer soudainement les articulations et les détruire sur le long terme.
⦁ Elle est courante, surtout chez les personnes âgées.
⦁ De minuscules cristaux qui se forment dans le métabolisme et calcifient le tissu cartilagineux sont en cause.
⦁ Le traitement aigu vise à soulager les douleurs et à réduire l’inflammation.
⦁ On ne traite pas les causes de la pseudogoutte ; le traitement à long terme se limite à l’emploi de médicaments anti-inflammatoires.
La pseudogoutte
Qu’est-ce que la pseudogoutte ?
La pseudogoutte est une maladie articulaire semblable à la goutte qui peut provoquer des douleurs intenses et soudaines.
Elle est due à la formation de cristaux de pyrophosphate de calcium (cristaux de CPP) qui calcifient principalement le tissu cartilagineux. En médecine, on nomme ce processus « chondrocalcinose ». La chondrocalcinose est asymptomatique. On la considère comme une maladie à partir du moment où les cristaux de CPP déclenchent une réaction inflammatoire.
Du calcaire dans les tissus
Les cristaux de CPP se déposent aussi bien dans le tissu cartilagineux des articulations que dans le fibrocartilage des disques intervertébraux, de la symphyse pubienne et des ménisques du genou. Les cristaux de CPP peuvent également se déposer dans la muqueuse articulaire (synoviale), les tendons, les ligaments et les insertions tendineuses comme celles de la coiffe des rotateurs de l’épaule, une articulation souvent atteinte. Les plus touchées sont toutefois les articulations des genoux et des poignets.
De graves répercussions
La pseudogoutte ne cause pas uniquement des douleurs, elle peut aussi détruire les articulations. Lorsqu’elle affecte les articulations des genoux ou de la hanche, elle limite la mobilité dans son ensemble. Lorsqu’elle atteint les mains et les épaules, elle réduit surtout l’autonomie. Les patientes et patients ne peuvent plus accomplir leurs tâches quotidiennes comme les soins corporels, l’habillement ou la préparation des repas.
Terminologie
Le terme technique anglais désignant la pseudogoutte est Calcium Pyrophosphate Deposition Disease (maladie à dépôts de cristaux de pyrophosphate de calcium). Il est abrégé de plusieurs manières :
CPPDD – reflète la dénomination officielle de la maladie. Le premier D correspond à Deposition (« dépôt » des cristaux de CPP) et le deuxième D à Disease (maladie).
CPDD – une forme plus rare dans laquelle « CPP » (pyrophosphate de calcium) est raccourci en « CP ».
CPPD – avec un seul D pour Deposition (dépôt) ou Disease (maladie). Cette abréviation peut être source de confusion, car on ne sait pas si elle fait référence à l’état d’une chondrocalcinose asymptomatique (dépôts de cristaux de CPP sans inflammation) ou à une pseudogoutte (dépôts de cristaux de CPP avec douleurs inflammatoires). Pour clarifier, on devrait compléter par : CPPD Disease .
Classification
⦁ En raison des dépôts de cristaux de CPP, on classe la pseudogoutte parmi les maladies métaboliques. Le terme « maladie métabolique » est générique ; il englobe différentes pathologies, généralement non rhumatismales.
⦁ La pseudogoutte fait également partie des arthropathies et des arthrites cristallines, qui constituent un sous-groupe de formes inflammatoires de rhumatismes.
Prévalence
En Suisse, entre 4 % et 7 % de la population adulte est atteinte de chondrocalcinose, ce qui représente environ 500 000 personnes. 15
On ignore la fréquence de la pseudogoutte accompagnée de douleurs, mais on sait qu’elle est bien plus rare que la chondrocalcinose asymptomatique.
Qui est concerné ?
Les personnes âgées sont les plus concernées : 6 % des 60 à 70 ans, et 30 % des plus de 80 ans. Les femmes sont nettement plus touchées que les hommes.

De nombreuses personnes atteintes de pseudogoutte sont âgées et souffrent déjà de maladies concomitantes telles que le diabète, des maladies rénales chroniques ou d’autres problèmes métaboliques et hormonaux.
Causes
La pseudogoutte résulte d’une réaction inflammatoire déclenchée par les cristaux de CPP.
Les macrophages du système immunitaire inné jouent un rôle essentiel dans ce processus. Ils détectent les cristaux de CPP et commencent à les ingérer, libérant ainsi des messagers immunitaires pro-inflammatoires, les cytokines, qui attirent à leur tour d’autres cellules immunitaires, ce qui accentue l’inflammation.
En général, on peut comparer ce processus à une sorte de « nettoyage » autolimité. Les inflammations diminuent aussi sans traitement médicamenteux, dès que les accumulations de cristaux localisées ont été suffisamment éliminées. Mais si d’autres dépôts se forment, ils peuvent donner lieu à une nouvelle réaction inflammatoire.
Quelles sont les causes de la pseudogoutte ?
On ignore les causes exactes de la pseudogoutte. Outre les modifications tissulaires dégénératives, on pense qu’un trouble de la métabolisation du pyrophosphate est en cause. En effet, l’adénosine triphosphate ou ATP (une source d’énergie) est davantage transformée en pyrophosphate inorganique. L’excès de pyrophosphate se lie ensuite au calcium pour former des cristaux de pyrophosphate de calcium (les fameux cristaux de CPP).
La pseudogoutte est aussi une maladie familiale. On suppose donc qu’elle possède une composante génétique, surtout lorsqu’elle apparaît tôt et qu’elle s’aggrave. Certaines variations génétiques individuelles (ANKH, ENPP1) sont
associées à la pseudogoutte et à d’autres maladies génétiques sous-jacentes qui exercent une forte influence sur le métabolisme des minéraux.
Maladies métaboliques sous-jacentes
Lorsque des personnes de moins de 60 ans sont atteintes d’une pseudogoutte, il est important de vérifier la présence d’une maladie métabolique sous-jacente et de la traiter, le cas échéant. On parle alors d’une pseudogoutte secondaire, puisqu’elle dépend d’une maladie sous-jacente (primaire).
Hyperactivité des glandes parathyroïdes (hyperparathyroïdisme)
Une prolifération cellulaire dans les glandes parathyroïdes est une cause assez courante de pseudogoutte secondaire. Les cellules tumorales produisent des quantités supplémentaires de parathormone, ce qui augmente le taux de calcium dans le sang. On parle alors d’hypercalcémie. Or l’hypercalcémie endommage les reins ; elle entraîne des dépôts calcaires dans les articulations et les parties molles, tout en provoquant une décalcification osseuse.
Hémochromatose
La pseudogoutte peut aussi avoir pour origine une hémochromatose. Cette maladie génétique se manifeste par des dépôts de fer dans le foie, les articulations, le pancréas et d’autres organes. Elle est due à une absorption excessive du fer dans l’intestin grêle. La cirrhose et ses conséquences, ainsi que les maladies du myocarde, représentent les risques les plus importants.
Maladie de Wilson
La maladie de Wilson, plus rare, peut elle aussi entraîner une pseudogoutte secondaire. Les personnes atteintes de cette maladie n’éliminent pas suffisamment le cuivre apporté par l’alimentation. Il s’accumule alors dans le foie et d’autres organes.
Carence en magnésium (hypomagnésémie)
Une carence chronique en magnésium due à une absorption insuffisante dans l’intestin ou les reins – souvent liée à des troubles héréditaires du métabolisme minéral –est une autre maladie sous-jacente susceptible d’engendrer une pseudogoutte.
Modifications articulaires
La pseudogoutte peut aussi être favorisée par des déformations articulaires, qu’elles soient congénitales ou dues à un accident ou à une intervention chirurgicale, ainsi que des déformations résultant d’inflammations articulaires chroniques comme la polyarthrite rhumatoïde.
Symptômes
Les signes de la pseudogoutte ressemblent à ceux de la goutte.
Une longue phase asymptomatique de calcification progressive du cartilage peut précéder la première crise ou poussée. Cette chondrocalcinose n’entraîne toutefois pas systématiquement une pseudogoutte.
La pseudogoutte aiguë
Dans les cas aigus, l’articulation s’enflamme soudainement et devient très douloureuse. Elle gonfle, devient chaude, rouge et sa mobilité est fortement réduite. Contrairement à la vraie goutte, la pseudogoutte affecte en premier lieu les grandes articulations, et celle du genou en particulier, mais elle n’épargne pas non plus les petites articulations. L’intensité des troubles aigus varie. Ils diminuent au cours de la journée et disparaissent généralement en moins de quatre semaines. S’en suit souvent une longue période sans symptômes, jusqu’à la prochaine crise ou poussée.
Contrairement à la vraie goutte, la pseudogoutte affecte en premier lieu l’articulation du genou. Elle y entraîne souvent une arthrose.

La pseudogoutte chronique
La pseudogoutte peut également se chroniciser. Dans ce cas, les douleurs sont certes moins vives que celles d’une crise de goutte aiguë, mais elles limitent considérablement les activités quotidiennes. Les autres symptômes d’une évolution chronique sont une fièvre élevée récurrente et une sensation de malaise général.
La pseudogoutte chronique peut entraîner une arthrose, en particulier dans l’articulation du genou.
Maladies concomitantes
Chez les personnes âgées, la pseudogoutte doit souvent être considérée dans un contexte multimorbide, en tenant compte de maladies cardiovasculaires chroniques ou de maladies articulaires dégénératives comme l’arthrose.
Comme le montrent des études post-mortem, le tissu cartilagineux de l’articulation de la cheville ou du tarse a tendance à dégénérer en raison de l’accumulation de cristaux de CPP (en cas de pseudogoutte) ou de cristaux d’acide urique (en cas de goutte).
Les affections rénales chroniques, le diabète et d’autres problèmes hormonaux et métaboliques, considérés à la fois comme causes possibles d’une pseudogoutte secondaire et comme facteurs de risque, comptent aussi parmi les maladies concomitantes.
Diagnostic
Les médecins répertorient les antécédents médicaux des patientes et patients (l’anamnèse) et examinent l’articulation atteinte.
Ils font également appel à d’autres méthodes diagnostiques pour éviter toute confusion avec d’autres formes de rhumatisme (goutte, polyarthrite rhumatoïde, polymyalgia rheumatica, arthrite réactionnelle, arthrose, etc.).
Examens de laboratoire
Pour confirmer le diagnostic, on peut faire une ponction dans l’articulation atteinte, prélever une petite quantité de liquide synovial et l’examiner au microscope à lumière polarisée. Avec leur forme en losange, les cristaux CPP sont faciles à identifier. La détection des cristaux est le gold standard du diagnostic de la pseudogoutte. Une analyse bactériologique supplémentaire aide par ailleurs à exclure une arthrite infectieuse.
Imagerie
Les spécialistes en rhumatologie reconnaissent les dépôts de cristaux CPP à l’échographie ou sur des radiographies. On y voit de fines calcifications striées qui parcourent les os dans leur longueur.
Traitement et autogestion
Contrairement à sa forme chronique, la pseudogoutte aiguë se soigne à l’aide des mêmes moyens et mesures que la vraie goutte.
Que faire en cas de pseudogoutte aiguë ?
1 Traitez par le froid : refroidissez l’articulation avec une compresse froide ou un pain de glace. Ne posez pas la glace directement sur la peau, car elle refroidirait beaucoup trop les tissus.
2 Mettez l’articulation au repos : essayez de la ménager et de ne pas la solliciter. Le repos peut aider à atténuer les symptômes.
3 Prenez des analgésiques : l’ibuprofène, le diclofénac et d’autres médicaments anti-inflammatoires non stéroïdiens (AINS) diminuent la douleur et l’inflammation. Si vous les utilisez sur une courte durée, le risque pour l’estomac ou le système cardiovasculaire est faible.
4 Hydratez-vous : buvez suffisamment d’eau pour soutenir la fonction rénale.
5 Consultez : adressez-vous à un médecin pour recevoir un traitement médicamenteux adapté à votre situation.
Le traitement aigu de la pseudogoutte
On traite principalement la pseudogoutte aiguë avec de la cortisone, de la colchicine (une substance active d’origine végétale) ou des médicaments anti-inflammatoires non stéroïdiens (AINS). On les prend par voie orale. Seule la cortisone est également injectée directement dans l’articulation gonflée, selon le cas.
Les médecins pourront également soulager la douleur en retirant le liquide synovial accumulé avec une seringue ou une aiguille. Cette ponction est de toute façon nécessaire pour établir un diagnostic.
Attention : la prise des médicaments ne signifie pas renoncer aux autres mesures, bien au contraire. Refroidir l’articulation, la mettre au repos et la surélever, le cas échéant, et boire suffisamment d’eau contribuent au succès du traitement aigu médicamenteux.
Comment traite-t-on la pseudogoutte à long terme ?
Aucun médicament n’empêche la formation de cristaux de CPP et la calcification du tissu cartilagineux et des parties molles. La seule stratégie médicamenteuse possible consiste à bloquer les mécanismes inflammatoires afin d’espacer les poussées.
Médicaments
On a généralement recours à des médicaments antiinflammatoires non stéroïdiens (AINS) associés à une substance qui protège l’estomac et / ou de faibles doses de colchicine. En l’absence d’une réponse suffisante, on passe à la cortisone, au méthotrexate ou à l’hydroxychloroquine. L’ablation chirurgicale de la muqueuse articulaire enflammée est aussi possible.
Magnésium
Un apport alimentaire en magnésium contribue à réduire la fréquence des poussées. En effet, les métabolismes du magnésium et du calcium sont étroitement liés ; une carence chronique en magnésium peut provoquer une pseudogoutte secondaire.
Maladies sous-jacentes
En cas de pseudogoutte secondaire, il est important de traiter la maladie sous-jacente, qu’il s’agisse d’une déformation articulaire ou d’une maladie métabolique spécifique.
La polymédication comme facteur de risque
L’âge avancé des personnes atteintes constitue un défi particulier pour le traitement médicamenteux. En effet, le risque d’interactions médicamenteuses augmente avec le nombre de substances prises en parallèle pour divers problèmes de santé et maladies. La polymédication peut diminuer, renforcer ou inhiber l’effet de certains médicaments (y compris les produits en vente libre et les préparations phytothérapeutiques).

Moyens auxiliaires
Si vous avez des douleurs articulaires et une mobilité limitée au niveau des jambes, une poignée de baignoire, un tabouret de douche ou des bandes antidérapantes vous aideront à prendre soin de votre corps en toute sécurité. Si une pseudogoutte chronique vous empêche déjà d’utiliser vos mains comme avant, des moyens auxiliaires tels que des élargisseurs de poignées et de crayons, des couteaux de cuisine ergonomiques, des ouvre-bouteilles et des ouvrebocaux ménageront vos articulations et vous économiseront des efforts au quotidien.
Découvrez tous les moyens auxiliaires sur www.rheumaliga-shop.ch/fr
La pseudogoutte chronique connaît une évolution très variable d’une personne à l’autre. Certaines personnes ont de longues phases asymptomatiques, alors que d’autres présentent des poussées fréquentes qui déforment les articulations et entraînent une arthrose.
Prévention
Il n’existe aucune recommandation en ce qui concerne la prévention de la pseudogoutte.
Contacts utiles
Ligue suisse contre le rhumatisme
Tél. 044 487 40 00, www.ligues-rhumatisme.ch
Ligues régionales contre le rhumatisme
Argovie, (voir Zurich)
Bâle, tél. 061 269 99 50, info.bsbl@rheumaliga.ch
Berne, Haut-Valais, tél. 031 311 00 06, info.be@rheumaliga.ch
Fribourg, tél. 026 322 90 00, info.fr@rheumaliga.ch
Genève, tél. 022 718 35 55, laligue@laligue.ch
Glaris, tél. 078 240 88 48, rheumaliga.gl@bluewin.ch
Grisons, (voir St-Gall)
Jura, tél. 032 466 63 61, info.ju@rheumaliga.ch
Lucerne, Unterwald, tél. 041 220 27 95, info.lu.nw.ow@rheumaliga.ch
Neuchâtel, tél. 032 913 22 77, info.ne@rheumaliga.ch
Schaffhouse, tél. 052 643 44 47, info.sh@rheumaliga.ch
Soleure, tél. 032 623 51 71, rheumaliga.so@bluewin.ch
St-Gall, Grisons, Appenzell, FL, tél. 081 302 47 80, info.sgfl@rheumaliga.ch
Tessin, tél. 091 825 46 13, info.ti@rheumaliga.ch
Thurgovie, tél. 071 688 53 67, info.tg@rheumaliga.ch
Uri, Schwyz, tél. 041 870 40 10, info@ursz.rheumaliga.ch
Valais (Bas-Valais), tél. 027 322 59 14, info@lrvalais.ch
Vaud, tél. 021 623 37 07, info@lvr.ch
Zurich, Zoug, Argovie, tél. 044 405 45 50, info@rheumaliga-zza.ch
A propos de nous
La Ligue suisse contre le rhumatisme est l’interlocutrice des personnes concernées et l’organisme de formation continue polyvalent pour les professionnels de la santé. En tant qu’organisation faîtière, nous représentons les intérêts de dix-sept Ligues regionales contre le rhumatisme et six organisations nationales de patients.
Vous êtes atteint de rhumatisme ?
Nous vous aidons à comprendre le diagnostic et la thérapie, à faire face au quotidien, à maintenir une activité physique ainsi qu’à conserver votre capacité de gain, votre autonomie et vos relations sociales.
Conseil
Nous vous conseillons de façon individuelle et indépendante. Que cela concerne un diagnostic, un traitement, un emploi, des assurances ou la famille, nous vous accompagnons dans la prise en charge de votre maladie rhumatismale.
Formation
Nous transmettons des connaissances et favorisons la compréhension. Sur notre site Internet, dans nos podcasts, sur les réseaux sociaux et dans nos brochures, vous trouverez toute une palette d’informations vérifiées par des spécialistes ainsi que des conseils pratiques.




Activité physique
Nous vous encourageons à maintenir une activité physique, malgré le rhumatisme. Vous trouverez ainsi des programmes d’exercices et des cours de gymnastique dispensés par des personnes qualifiées et proposés par la Ligue contre le rhumatisme à proximité de chez vous.
Un grand merci !
La Ligue suisse contre le rhumatisme est en majeure partie financée par des dons et des donations. Nous sommes une organisation d’utilité publique et gérons chaque franc reçu de façon transparente et responsable. Merci beaucoup pour votre don !
Compte réservé aux dons
UBS Zürich, IBAN CH83 0023 0230 5909 6001 F
Adresse pour les dons
Ligue suisse contre le rhumatisme, Josefstrasse 92, 8005 Zurich

Conseil
Voulez-vous que votre don soit affecté à un but précis ?
Dans ce cas, visitez notre univers des dons en ligne et faites-y votre choix parmi nos offres actuelles : donner.ligues-rhumatisme.ch
Autres brochures

Préservez vos articulations Cinq


L’impact de l’alimentation

Préservez vos articulations Cinq principes pour votre quotidien
Découvrez comment fonctionnent les articulations, pourquoi elles ont besoin de mouvements et de muscles forts, et comment on peut les protéger en les ménageant.
gratuit, F 350
L’impact de l’alimentation
Le régime alimentaire en cas de rhumatisme inflammatoire
Quatre chapitres bien structurés (graisses saines, fruits et légumes, boissons et épices) vous dévoilent les principes de base de l’alimentation anti-inflammatoire. Un chapitre supplémentaire répond aux questions fréquentes sur le gluten, la lectine ou le régime alcalin.
gratuit, F 431


Moyens auxiliaires 2025/26
Aides au quotidien pour vous faciliter la vie
Dans notre catalogue, nous vous présentons 200 produits conseillés répartis en cinq chapitres : cuisine et alimentation, vie quotidienne et loisirs, habillement, soins corporels, santé et bien-être.
gratuit, F 003 Découvrez
Moyens auxiliaires

Ouvre-bouteille Pet Boy
L’ouvre-bouteille universel souple.
CHF 13.80 N° d’art. 6301

Couteau d’office 15 cm
Couper en ménageant les articulations.
CHF 36.60 N° d’art. 6902

Bandes antidérapantes
Évite de glisser dans la baignoire ou la douche.
CHF 15.90 N° d’art. 1301

Ouvre-bocal
Cet auxiliaire de cuisine met à profit l’effet de levier.
CHF 26.80 N° d’art. 7003

Élargisseurs de poignées «GripoBall»
Petits accessoires polyvalents qui facilitent les mouvements de préhension quotidiens.
CHF 20.00 N° d’art. 4302

Tabouret de douche
Pour un maximum de sécurité et de confort dans la salle de bain.
CHF 168.00 N° d’art. 2206
Références bibliographiques
1 MacKenzie, C.R. Gout and Hyperuricemia: an Historical Perspective. Curr Treat Options in Rheum 1, 119–130 (2015).
2 Dalbeth N, Gosling AL, Gaffo A, Abhishek A. Gout. Lancet. 2021 May 15;397(10287):1843-1855. doi: 10.1016/S0140-6736(21)00569-9. Epub 2021 Mar 30. Erratum in: Lancet. 2021 May 15;397(10287):1808. doi: 10.1016/S01406736(21)01010-2. PMID: 33798500. – Signalmechanismen bei Entzündungsprozessen. Neu entdeckte Wirkstoffe aktivieren das Inflammasom in Makrophagen, dans : Gesundheitsindustrie BW, 18.05.2021.
3 Gröbner, W. (2001). Purinstoffwechsel, dans : Nawroth, P.P., Ziegler, R. (eds) Klinische Endokrinologie und Stoffwechsel. Springer, Berlin, Heidelberg.
4 So A, Thorens B. Uric acid transport and disease. J Clin Invest. 2010 Jun;120(6):1791-9. doi: 10.1172/JCI42344. Epub 2010 Jun 1. PMID: 20516647; PMCID: PMC2877959.
5 Tin, A., Marten, J., Halperin Kuhns, V.L. et al. Target genes, variants, tissues and transcriptional pathways influencing human serum urate levels. Nat Genet 51, 1459–1474 (2019).
6 Major, T.J., Takei, R., Matsuo, H. et al. A genome-wide association analysis reveals new pathogenic pathways in gout. Nat Genet 56, 2392–2406 (2024).
7 Fruchtzucker treibt die Harnsäure hoch, dans : Ärzte Zeitung, 05.02.2008. – Fruktose-Konsum kann Gicht begünstigen, dans : Internisten im Netz, 30.01.2019.
8 Ferrannini E, Galvan AQ, Gastaldelli A, Camastra S, Sironi AM, Toschi E, Baldi S, Frascerra S, Monzani F, Antonelli A, Nannipieri M, Mari A, Seghieri G, Natali A. Insulin: new roles for an ancient hormone. Eur J Clin Invest. 1999 Oct; 29(10): 842-52. doi: 10.1046/j.1365-2362.1999.00536.x.
9 Chrometzka, F. Die Zentrale Stellung der Leber im Purinstoffwechsel und ihre Bedeutung für die Pathogenese der Gicht. Klin Wochenschr 15, 1877–1881 (1936).
10 Neue Empfehlungen zur Gichtdiagnostik: Ein hoher Harnsäurewert allein sagt noch gar nichts, dans : Medical Tribune, 23.08.2019.
11 Choi HK, Atkinson K, Karlson EW, Willett W, Curhan G. Purine-rich foods, dairy and protein intake, and the risk of gout in men. N Engl J Med. 2004 Mar 11;350(11):1093-103. doi: 10.1056/NEJMoa035700. PMID: 15014182.
12 Marbach, Eva: Gesundheitsratgeber Gicht. Gicht mit Naturheilkunde und Schulmedizin erfolgreich behandeln, Breisach 2010.
13 Zhang Y, Neogi T, Chen C, Chaisson C, Hunter DJ, Choi HK. Cherry consumption and decreased risk of recurrent gout attacks. Arthritis Rheum. 2012 Dec;64(12):4004-11. doi: 10.1002/art.34677. PMID: 23023818; PMCID: PMC3510330.
14 Zimt für einen gesunden Glukose- und Fettstoffwechsel, dans : Orthoknowledge, 01.12.2020.
15 Rosenthal AK, Ryan LM. Calcium Pyrophosphate Deposition Disease. N Engl J Med. 2016 Jun 30;374(26):2575-84. doi: 10.1056/NEJMra1511117. PMID: 27355536; PMCID: PMC6240444.
Nous remercions les entreprises suivantes pour le soutien financier à ce projet de brochure :
A. Menarini GmbH
Streuli Pharma AG
Impressum
Éditrice Ligue suisse contre le rhumatisme
Auteur Patrick Frei, Ligue suisse contre le rhumatisme
Révision technique
goutte : Pr Burkhard Möller, médecin-chef adjoint à l’Inselspital, Hôpital universitaire de Berne pseudogoutte : Dr Franz-Xaver Stadler, spécialiste en rhumatologie et en médecine interne FMH, à la retraite
recommandations nutritionnelles : Sybille Binder, diététicienne dipl. HES, Institut für integrative Naturheilkunde Nhk
Traduction weiss traductions genossenschaft
Design Senn.Studio, Zurich
Impression Ostschweiz Druck AG
Crédits photos
iStockPhoto : Prostock-Studio (p. 16), ZeynepKaya (p. 18), Barcin (p. 24), Davizro (p. 33), Christopher Ames (p. 39), Pressmaster (p. 46), aquaArts studio (p. 51)
Unsplash : Getty Images (Cover), Yunus Tug (p. 28), Jakob Trost (p. 33), Ravi Sharma (p. 35), Janosch Lino (p. 35), Freestocks (p. 57)
Wikimedia Commons : British Museum (p. 7, 23), Stefan Iefnaer (p. 8), Bobjgalindo (p. 12)
radiopaedia.org (p. 24)
Gestion de projet Patrick Frei, Ligue suisse contre le rhumatisme
© Ligue suisse contre le rhumatisme, 2026 (nouvelle édition entièrement remaniée). Tous droits réservés.


Expéditeur / expéditrice
Prénom Nom Rue / n°
le
NPA / Localité
rhumatisme Josefstrasse 92
Ligue suisse contre
8005 Zurich
Date Signature
Je commande les articles suivants :
Préservez vos articulations
Brochure, gratuite (F 350)
L’impact de l’alimentation
Brochure, gratuite (F 431)
Moyens auxiliaires 2025/26
Brochure, gratuite (F 003)
Faire de bonnes choses qui restent
Guide testamentaire, gratuit (F 009)
Ouvre-bouteille Pet Boy
CHF 13.80* (N° d'art. 6301)
Couteau d’office 15 cm
CHF 36.60* (N° d'art. 6902)
Bandes antidérapantes
CHF 15.90* (N° d'art. 1301)
Articles supplémentaires
* Frais de port non inclus, sous réserve de modification de Prix
Je souhaite soutenir le travail d'utilité publique de la Ligue suisse contre le rhumatisme.
Veuillez m'envoyer des informations complémentaires.
Je souhaite devenir membre de la Ligue contre le rhumatisme. Veuillez me contacter.
Numéro de téléphone
La Ligue suisse contre le rhumatisme est l’interlocutrice des personnes concernées et l’organisme de formation continue pour les professionnels de la santé.
Tél. 044 487 40 00 info@rheumaliga.ch
www.ligues-rhumatisme.ch

