JanFeb 2026 Text ISSUU

Page 1


PRACTICE TRANSITIONS AND THE BUSINESS OF DENTISTRY ISSUE

30 From Foundation to Future: Reflections on 40 Years of FDA Services

34 Florida Board of Dentistry Meets in Gainesville

38 The Overlooked Key to a Smooth Practice Transition: How FDA Services Simplifies the Insurance Process for Buyers and Sellers

41 Understanding the Allocation of Assets and Minimizing the Tax Liability in a Practice Sale

44 The Most Overlooked Tool in a Successful Dental Transition

48 Profit and Loss Statement: What Is It and How Do You Use It

50 In These Challenging Times Why Practice Analytics Are Your New Best Friend

56 The Overlooked Intersection of Intimate Partner Violence and the Business of Dentistry

58 Using Leaf Gauges and Load Testing to Capture an Accurate Centric Relation Bite Registration

65 Americans with Disabilities Act Make Sure Your Website is Compliant!

68 FDC 2026 Speaker: Empowering Dental Teams with Evidence-based Practice

72 FDC 2026 Speaker: Full Arch Implant Reconstruction in the Digital Era: Past, Present and Future

78 FDC 2026 Exhibit Hall

26 In Memoriam

81 Diagnostic Discussion

84 Career Center

86 Advertising Index

88 Off the Cusp

EDITOR

Dr. Hugh Wunderlich, CDE Palm Harbor

BOARD OF TRUSTEES

PRESIDENT

Dr. John Paul Lakeland

SECRETARY

Dr. Bertram Hughes Gainesville

SPEAKER OF THE HOUSE

Dr. Don Ilkka Leesburg

17TH DISTRICT TRUSTEE

Dr. Andy Brown Jacksonville

PRESIDENT-ELECT

Dr. Dan Gesek Jacksonville

IMMEDIATE PAST

PRESIDENT

Dr. Jeffrey Ottley Milton

TREASURER

Dr. Fred Grassin Spring Hill

EXECUTIVE DIRECTOR Drew Eason, CAE Tallahassee

To contact an FDA board member, use the first letter of their first name, then their last name, followed by @bot.floridadental.org. For example, to email Dr. Hugh Wunderlich, his email would be hwunderlich@bot.floridadental.org.

To call a specific staff member below, dial 850.350. followed by their extension.

EXECUTIVE OFFICE

Drew Eason • chief executive officer/executive director deason@floridadental.org Ext. 7109

Greg Gruber • chief operating officer/chief financial officer ggruber@floridadental.org Ext. 7111

Casey Stoutamire • chief legal officer cstoutamire@floridadental.org Ext. 7202

Lianne Bell • leadership affairs manager lbell@floridadental.org Ext. 7114

Lywanda Tucker • peer review coordinator ltucker@floridadental.org Ext. 7143

ACCOUNTING

Breana Giblin • director of accounting bgiblin@floridadental.org Ext. 7137

Leona Boutwell • finance services coordinator lboutwell@floridadental.org Ext. 7138

Dr. Tom Brown Orange Park

Dr. Sam DeSai Cape Coral TRUSTEES

Dr. Christopher Bulnes Tampa

Dr. Bethany Douglas Jacksonville

Dr. Karen Glerum Boynton Beach

Dr. Lance Karp Sarasota

Dr. Katie Miller Maitland

Dr. John Pasqual Delray Beach

Dr. Reese Harrison Lynn Haven

Dr. Eddie Martin Pensacola

Dr. Richard Mufson Miami

Dr. Joe Richardson Eustis

Mitzi Rye • fiscal services coordinator mrye@floridadental.org Ext. 7139

Kaitlinn Sendar • fiscal services coordinator ksendar@floridadental.org Ext. 7165

COMMUNICATIONS AND PUBLICATIONS

Jill Runyan • director of publications jrunyan@floridadental.org Ext. 7113

Mike Reino • graphic design coordinator mreino@floridadental.org Ext. 7112

FDA FOUNDATION

R. Jai Gillum • director of foundation affairs rjaigillum@floridadental.org Ext. 7117

Madelyn Espinal • foundation assistant mespinal@floridadental.org

7122

Deidra Green • foundation coordinator dgreen@floridadental.org Ext. 7161

FLORIDA DENTAL CONVENTION AND CONTINUING EDUCATION

Crissy Tallman • vice president: conventions, ce and component strategy ctallman@floridadental.org Ext. 7105

Tina Hooks • FDC program coordinator thooks@floridadental.org Ext. 7106

Brooke Martin • FDC marketing specialist bmartin@floridadental.org Ext. 7103

Lisa O’Donnell • FDC program coordinator lodonnell@floridadental.org Ext. 7120

Deirdre Rhodes • FDC exhibits coordinator drhodes@floridadental.org Ext. 7108

Saliyha Varmah • FDC Meeting Assistant svarmah@floridadental.org Ext. 7162

GOVERNMENTAL AFFAIRS

Joe Anne Hart • chief legislative officer jahart@floridadental.org Ext. 7205

Brandon Edmonston • lobbyist bedmonston@floridadental.org Ext. 7205

Jamie Graves • legislative affairs coordinator jgraves@floridadental.org Ext. 7203

INFORMATION SYSTEMS

Larry Darnell • director of strategic initiatives and technology ldarnell@floridadental.org Ext. 7102

Charles Vilardebo • computer support technician cvilardebo@floridadental.org Ext. 7153

MEMBER RELATIONS

Kerry Gómez-Ríos • vice president: membership and component strategy krios@floridadental.org Ext. 7121

Megan Bakan • membership coordinator mbakan@floridadental.org Ext. 7136

Lynn Davis • membership assistant ldavis@floridadental.org Ext. 7100

Cecilia Franco • membership coordinator cfranco@floridadental.org Ext. 7123

Kim Jenkins • membership coordinator kjenkins@floridadental.org Ext. 7110

FDA SERVICES | 545 John Knox Road, Ste. 201 • Tallahassee, FL 32303 • 800.877.7597 or 850.681.2996

Scott Ruthstrom • chief operating officer scott.ruthstrom@fdaservices.com Ext. 7146

Carrie Millar • director of insurance operations

carrie.millar@fdaservices.com Ext. 7155

Carol Gaskins • commercial accounts manager carol.gaskins@fdaservices.com Ext. 7159

Tessa Pope • customer service manager tessa.pope@fdaservices.com Ext. 7158

Marcia Dutton • membership services assistant marcia.dutton@fdaservices.com Ext. 7148

Porschie Biggins • Central FL membership commercial account advisor porschie.biggins@fdaservices.com Ext. 7149

Maria Brooks • South FL membership commercial account advisor maria.brooks@fdaservices.com Ext. 7144

Davis Perkins • Atlantic Coast membership commercial account advisor davis.perkins@fdaservices.com Ext. 7145

Danielle Basista • commercial account advisor danielle.basista@fdaservices.com Ext. 7156

Jordyn Berrian • commercial account advisor jordyn.berrian@fdaservices.com Ext. 7163

Kelly Dee • commercial account advisor kelly.dee@fdaservices.com Ext. 7157

Jamie Idol • commercial account advisor jamie.idol@fdaservices.com Ext. 7142

Maddie Lawrence • commercial account advisor maddie.lawrence@fdaservices.com Ext. 7154

Liz Rich • commercial account advisor liz.rich@fdaservices.com Ext. 7171

Karina Scoliere • commercial account advisor karina.scoliere@fdaservices.com Ext. 7151

Dan Zottoli, SBCS, DIF, LTCP director of sales • Atlantic Coast 561.791.7744 • cell: 561.601.5363 dan.zottoli@fdaservices.com

Dennis Head, CIC director of sales • Central Florida 877.843.0921 • cell: 407.927.5472 dennis.head@fdaservices.com

Brock Shelton director of sales • North Florida 850.350.7140 brock.shelton@fdaservices.com

Joseph Perretti, SBCS director of sales • South Florida cell: 305.721.9196 joe.perretti@fdaservices.com

Rick D’Angelo, CIC director of sales • West Coast 813.475.6948 • cell: 813.267.2572 rick.dangelo@fdaservices.com

Mike Trout director of sales cell: 904.254.8927 mike.trout@fdaservices.com

READY. SET. RENEW!

Keep Your Practice Moving — Renew Your License by February 28.

All Florida licensed dentists must renew their dental license for the 2024-2026 biennium by Feb. 28, 2026. You must complete 30 hours of CE credit to renew your dental license. Because you are an FDA member, we are here to help! The FDA o ers opportunities to earn 6 hours of free CE online at www.floridadental.org/online-ce.

NEW!

Fingerprinting & Background Screening Requirement

Requirements for First-Time Biennium Renewals

All Florida licensed dentists renewing their license by Feb. 28, 2026 must undergo a fingerprint-based Level 2 background check, including state and national criminal records checks, and are required to comply with the background screening requirements established in section 456.0135, F.S. Learn more at floridadental.org/fingerprinting.

If you are newly licensed (after Feb. 28, 2024) and renewing your license for the first time, you are only required to complete two courses for renewal. These courses are:

• 2 hours of CE on Prescribing Controlled Substances

• 2 hours of CE on HIV/AIDS

At the next renewal cycle, you must complete the full 30-hour requirement.

YOU MUST HAVE 30 HOURS OF CE CREDIT TO RENEW YOUR LICENSE

28 Hours of General Course Credit

Only 3 hours of the 28 hours can be practice management credit.

2 Hours of Domestic Violence Credits

This course is due every third biennium. Check your CE Broker account to confirm the last time you took this course.

2 Hours of Prescribing Controlled Substance Credit

This 2-hour course is included in the 28 hours of general course credit & must be taken each license renewal.

2 Hours of HIV/Aids Credits

This course is only required during your first license renewal cycle.

2 Hours of Medical Errors Credit

This course is required for all dentists and must be taken each license renewal.

You must have a current CPR certification to renew. The CPR certification course hours do not count toward the 30 hours required to renew.

QUESTIONS? Contact the FDA at ce@floridadental.org or 850.681.3629.

Helping Members Succeed

I have had the privilege and responsibility of making decisions for the Florida Dental Association (FDA) for about 15 years. In all that time, the yardstick I used in making those decisions was, does it help our members succeed? There are lots of good ideas that need doing, but we don’t have the resources to follow every trail, and not all of them help our members succeed.

Success is something you determine for yourself. It is different things for different dentists. Some measure by money, maybe just dollars, they are easy to count, maybe it’s the number of practices you own or how well you can provide for your family. For others, it is becoming the “best” dentist they can be, with technical excellence and smiles created from beautiful teeth. Maybe it’s the smiles that come from making people happy.

Don’t seek to be a success, seek to be significant, which is helping others be successful.

According to the FDA’s mission statement, our purpose is “helping members succeed.” All of the facets revolve around this one mission. No part is greater than another; the whole cannot stand without all of the parts, much like our members. We need every member, and we would like every dentist to be one. You may not yet have defined success, and your definition may change over time. This is why those of us who

NEW BACKGROUND SCREENING REQUIREMENT FOR LICENSURE RENEWAL

All health care practitioners, including dentists and hygienists, will be required to have a background screening and fingerprinting in order to renew their licenses before February 28, 2026

Florida Dental License Renewal: As required by the Florida Legislature, all Florida-licensed dentists and dental hygienists must complete a Level 2 background screening every five years. This includes electronic fingerprinting through a stateapproved provider.

For full details and helpful links, visit floridadental.org/fingerprinting

• Only approved vendors/providers

• Concealed weapon permits do not apply

• Required for 2026 and every other biennium

• Recommended that all complete in advance scan for more information!

WORLD-CLASS CE

We’ve been offering the highest quality CE at an incredible value for 113 years! Come learn from the experts in the industry.

HOSPITALITY

Hinman Dental Society member dentists volunteer at the Meeting each year to make your experience memorable.

INSPIRATION

Return to your practice feeling refreshed and ready to implement the new ideas you picked up at Hinman.

CONNECTIONS

Collaborate with your peers face-to-face to solve your most pressing issues.

CUTTING-EDGE EXHIBITS

Our expansive Exhibit Hall offers a world of learning outside the classroom. Come see what’s new in dentistry!

COMMUNITY

When you support Hinman, you support the future of dentistry. We are proud to give back to the dental community.

113th Thomas P. Hinman Dental Meeting | March 12-14, 2026

are dedicated to the organization feel so strongly about membership. We recognize that some dentists need our support and some of us need to be the support. That also changes from time to time. Many of you won’t know why you are a member until you do. It is not a simple purchase transaction; I give you money, you give me a product or service, and I decide whether it was worth the money or the effort to earn it.

By helping our members succeed, we are helping individual members, patients and the profession as a whole. The good news is that it’s like compound interest. The effort we put in grows and we get to be part of a much greater whole. When we succeed, everyone does better, patients are healthier and the profession is stronger. This isn’t just rainbows and treacle; dentists are one of the most trusted professionals for a reason. Events like the Florida Mission of Mercy reduce emergency room visits for dental

pain and, at the same time, provide dentists a way to give back without leaving the state, most by just showing up and doing what they do best. Legislators call us when someone in their ranks gets a new idea that might change our profession. Our patients don’t have to get infections that keep them out of school or work because we teach them how to prevent problems. It doesn’t require one gargantuan effort, but it does require constantly nudging the flywheel that keeps the engine spinning at top speed, just a little bit from everyone.

One of my mentors would often tell me, “Don’t seek to be a success, seek to be significant, which is helping others be successful.” That opportunity is how the FDA helps me succeed.

FDA President Dr. Paul can be reached at jpaul@bot.floridadental.org

Diagnostic Discussion

BI-MONTHLY COLUMNS

FDA members can earn up to 6 hours of general continuing education (CE) by reading the Diagnostic Discussion column included in the bi-monthly Today’s FDA and taking a quick online quiz

Discussions and quizzes are available 24 hours a day at the convenience of your home or office

Rooted in Dentistry

WEBINAR SERIES

This webinar series is your opportunity to stay informed, grow your skills and earn up to 6 CE hours at no cost.

Webinar topics include implant restoration, peri-implant disease, systemic oral health, diagnostic advancements and more!

Learn more at www.floridadental.org/online-ce

HEALTH CARE PROVIDER CHECKLIST:

Nonopioid alternatives are available for pain treatment, which may include nonopioid medicinal drugs or drug products.

Nonopioid interventional procedures or treatments are available, which may include: acupuncture, chiropractic treatments, massage, physical or occupational therapy or other appropriate therapy.

DISCUSS

ien

t ien t ’s pers

DOCUMENT IN PATIENT’S RECORD

PROVIDE

“Alternatives to Opioids,” an educational information pamphlet created by the Florida Department of Health is available in printed and electronic formats (required, available at bit.ly/2KXvZ2h). A checklist and poster are also available.

SUMMARY:

All health care providers must include nonopioid alternatives for pain and pain management electronically or in printed form in their discussions with patients before providing anesthesia, or prescribing, ordering, dispensing or administering a schedule II controlled substance for the treatment of pain.

Top 10 Frequently Asked Questions

Our mission statement here at the Florida Dental Association (FDA) is “Helping Members Succeed.” We take that to heart and want you to use us as your first call whenever you have a question related to your practice, whether it’s practice management, finance, scope of practice, anesthesia/sedation, licensure, current dental terminology (CDT) coding or insurance plans … this list could go on and on! And if we don’t know the answer, we will find it for you or point you to the expert in that area. Below is just a flavor of the type of questions we can help you with. We look forward to talking with you soon!

Do I have to take the dental licensure exam again if I want to relocate to Florida?

The Florida Board of Dentistry (BOD) is the body that regulates and licenses dentists in the state. Currently, Florida

accepts the American Board of Dental Examiners (ADEX) exam, as administered by the Commission on Dental Competency Assessments (CDCA), as its licensure exam. This means if you take this exam (whether in Florida or another state), you can use those results to apply for licensure in Florida. The BOD accepts all scores after Oct. 1, 2011, which means you only have to take the exam again if you took the licensure exam before that date. And, as of May 2022, Florida now accepts the non-patient-based exam for licensure.

In addition, as of 2024, the state now accepts licensure by the Mobile Opportunity by Interstate Licensure Endorsement (MOBILE) Act. To obtain licensure under this pathway, the following requirements must be met:

• Must hold an active, unencumbered license issued by another state, the District of Columbia or a territory of the United States.

did you know?

• Must have obtained a passing score on a national licensure examination or hold a national certification recognized by the board. The BOD defines this as either the ADEX exam or a regional board exam, such as the North East Regional Board (NERB) or the Western Regional Examining Board (WREB). It does not include a state specific-exam.

• Must have actively practiced the profession for at least two years during the four-year period immediately preceding the date of submission of this application.

• Must not have ever been reported to the National Practitioner Data Bank, unless the applicant successfully appealed to have the report removed or if the reported adverse action was a result of conduct that would not constitute a violation of any Florida law or rule.

• Must not be the subject of a disciplinary proceeding in a jurisdiction in which he or she holds a license or by the United States Department of Defense for reasons related to the practice of the profession for which the applicant is applying.

• Must not have had disciplinary action taken in the five years immediately preceding the date of submission of the application.

and document the course and results of treatment accurately, by including, at a minimum, patient histories; X-rays (if taken); examination results; test results; records of drugs prescribed, dispensed or administered; reports of consultation or referrals; identification of all treatments and procedures performed and when they were performed; and copies of records or reports or other documentation obtained from health care practitioners at the request of the dentist and relied upon by the dentist in determining the appropriate treatment of the patient. Remember, your records are your best defense if you ever have a patient complaint, so the more thorough they are, the better!

Dental plan XYZ denied a patient’s claim or can the dental plan bundle all the CDT codes for a crown or the dental plan only reimbursed or x procedure when I performed y.

Please don’t hesitate to reach out to me with any questions about insurance or insurance plans. I can’t guarantee a positive outcome, but I do have contacts with decision-makers and most dental plans, and I can put them in contact with your office to help resolve a case. In addition, before you sign a contract with a plan, make sure to send me a blank, unsigned copy. The American Dental Association (ADA) and the FDA offer a free contract review as a member benefit.

How

long do I have to keep patient records?

The BOD rule states that patient records must be kept for at least four years and the four-year retention period is calculated from the date the patient was last examined or treated by the patient. (Rule 64B5-17.002(4)) However, your malpractice carrier may recommend you keep the records for seven years due for statute of limitations purposes.

2. 3.

What do I need to have in my patient records?

Rule 64B5-17.002(1) states: The dental record shall contain sufficient information to record each patient/dentist in person or teledentistry encounter, identify the patient, support the diagnosis, identify and justify the treatment

4. 5. 6.

What task can my hygienist or assistant perform and under what supervision level?

I am not a dentist (but I like to say I play one on TV!), but I can discuss the BOD rules on remediable tasks with you to determine what tasks can be performed and what supervision level and training are required.

I have a patient claiming I “messed” up their treatment and now they want a refund?

The FDA offers peer review as a member benefit. Ms. Lywanda Tucker is our Peer Review Coordinator. She is happy to work with the patient and your office to resolve the claim to prevent a BOD complaint and/or a lawsuit.

7.

I’m looking at the new CDT code book and I’m not sure which code I should submit for x procedure.

Again, I’m not a dentist, but I can review the CDT code book with you. And if I’m not able to decipher the correct code, I can put you in touch with the point person in the ADA’s coding department.

8.

My office just received a subpoena for records related to a patient I previously treated. Or I’m having issues with one of my employees, and I’m not sure how to handle it. (I don’t want to get sued!)

While we cannot give individual legal advice, I do triage legal questions. Always give us a call with your legal questions, and I will either answer them or refer you to the law firm the FDA uses, which provides offers a discount to FDA members.

9.

I’m tired of being in-network with insurance plans, and I want to drop all of them. Can you help?

Yes, we can give you advice on the required notice timelines in the contract you signed with the plan and help

you with notifying patients of the change. In addition, we can answer questions about setting up your own inhouse plan to benefit your patients.

10.

I just saw a post on Instagram of a non-dentist providing dental services. Do NOT report this to the BOD. This is an area where antitrust issues are a major concern. Luckily, the state of Florida has a special unit, the Unlicensed Activity Bureau, which investigates all complaints related to unlicensed practice of dentistry. You can find more information and file a complaint at flhealthsource.gov/ula/.

As you can see, your FDA offers guidance on a variety of topics you will encounter during your day-to-day practice. Please don’t hesitate to call us so we can fulfill our mission of “Helping Members Succeed”!

FDA Chief Legal Officer Casey Stoutamire can be reached at cstoutamire@floridadental.org

2026 FDA Legislative Issues

The Florida Dental Association’s (FDA) legislative priorities focus on improving access to care, strengthening the dental workforce and protecting patients while preserving high standards for the profession. These issues reflect the real challenges dentists and patients face across Florida, from Medicaid reimbursement and workforce shortages to insurance practices, licensure standards and public health funding. The following priorities will guide the FDA’s advocacy efforts as we work with lawmakers to support quality oral health care statewide.

Dental Medicaid

Increase Reimbursement Fees — Increase funding for dental services in the Medicaid program, including in-

creasing dental reimbursement rates and ensuring dental managed care plans reimburse dentists at or above the published Medicaid rates.

Ensure Network Adequacy — Help patients access dental care through the Medicaid program by ensuring dental managed care plans provide sufficient and updated provider lists.

Workforce and Rural Communities

Dental Student Loan Repayment Program (FRAMEdental) — Increase recruitment of dentists and dental hygienists to rural and underserved areas by updating program eligibility requirements for dentists and dental hygienists, with an offer of employment, to apply to the program.

legislative action

Dental Benefit Reforms

Limit Network Leasing — Reduce patient confusion by requiring dental insurance plans to provide dentists with advance notice of network leasing agreements and the ability to opt-in versus opting out without jeopardizing current contracts.

Stop Downcoding of Claims — Dental plans routinely downcode procedure codes on submitted claims, undermining the dentist’s clinical judgement, which results in lower reimbursement fees.

Licensure

Fix MOBILE Act Loophole — Standardize licensure requirements and ensure quality of dental care by requiring dentists and dental hygienists coming to Florida under the Mobile Opportunity by Interstate Licensure Endorsement (MOBILE) Act to be graduates of a CODA-accredited dental school or dental hygiene program.

Maintain Educational Standards for Foreign Trained Dentists — Standardize education and ensure consistent quality of dental care in Florida by requiring internationally-trained dentists from non-accredited dental schools complete a CODA-approved two-year supplemental education program.

Budget Request

Florida Mission of Mercy (FLA-MOM) ($500,000) — Support funding the 2027 FLA-MOM Program in Northwest Florida. This program allows patients to be treated, at no cost, throughout two days by volunteer dentists, dental hygienists and other allied health care providers.

Improving the oral health and overall resulting health of all Floridians.

Dental Therapists

Oppose Dental Therapy Legislation — Maintain Florida’s high standards for dental care by opposing efforts to authorize dental therapists. Dental therapists may have only three years of post–high school training yet would be permitted to perform surgical procedures and administer local anesthesia.

FDA Chief Legislative Officer Joe Anne Hart can be reached at jahart@floridadental.org.

ARE YOU A MEMBER OF

FDAPAC CENTURY CLUB?

A portion of your dues is transferred to the Florida Dental Association Political Action Committee (FDAPAC). FDAPAC provides campaign contributions to dental-friendly candidates.

FDAPAC Century Club members provide additional financial support of $150 or more for state campaigns. FDAPAC dues and contributions are not deductible for federal income tax purposes.

FLORIDA DENTAL CHATTER

This Facebook group is designed for dentists to interact with other members, receive the latest updates and information, and engage with FDA leaders and sta across the country. This is the place to be in the know!

Join u s at fa ceboo k . co m /g ro u ps/ flo r i dadenta lchat te r.

Dr. Eddy Sedeño FDA member since 2017 Miami Lakes, FL SFDDA
Dr. John Paul FDA member since 1990 Lakeland, FL WCDDA Dr.

Your Income Is at Risk — Are You Protected?

Life-altering illnesses and injuries happen every day. While this isn’t a topic most people enjoy discussing, it is an unavoidable reality of life.

No one plans to become sick or injured, and we don’t know when these events will happen. However, what is within our control is how prepared we are. By taking proactive steps today, you can help protect your family, your business and the assets you’ve worked so hard to build by having the right disability policy in place.

You’ve heard it before, but it bears repeating: your ability to earn an income is one of your most valuable assets. You invested hundreds of thousands of dollars in dental school and countless hours developing your skills and building your career. In the blink of an eye, an unexpected accident or illness could threaten everything you’ve spent years working toward. Without proper protection, the financial consequences can be overwhelming. We all know the bills keep coming regardless of what life throws our way.

This is not meant to minimize the importance of life insurance, as it plays a critical role in any financial plan. However, statistically speaking, the risk of becoming disabled during your working years is significantly higher than the risk of premature death. According to a 2025 article published by the Social Security Administration, “For an insured worker who attains age 20 in 2025, the probability of becoming disabled between age 20 and normal retirement age is 24%, while the probability of dying during that same period is 13%.” These numbers clearly illustrate why disability coverage is a necessity.

Despite these risks, many Americans are still underprotected. The Council for Disability Income Awareness reports that 51 million Americans have no disability insurance beyond the basic coverage provided by the Social Security Administration. Furthermore, the Centers for Disease Control and Prevention data from 2024 estimates that one in four adults in the United States, approximately 28.7% are living with a disability, and that number is expected to continue rising in the coming years.

These alarming statistics highlight the need for a comprehensive disability policy that can help replace lost income and provide financial stability during challenging times. The right coverage offers more than just income protection; it provides confidence and peace of mind, knowing you and your family are prepared for the unexpected.

Don’t wait until it’s too late. Secure your financial future today. Call or text us today at 850.681.2996 to discuss your disability insurance options and protect your income before the unexpected happens.

Mr. Brock Shelton can be reached at 850.350.7140 or brock.shelton@fdaservices.com.

dental benefits spotlight

YES! You Can Fight Back

Dealing with insurance in the dental office can be daunting. As of late, the Florida Dental Association (FDA) and the American Dental Association (ADA) have been very active addressing member concerns about insurance practices that are affecting our ability to serve our patients properly and ethically. MetLife changing its recoupment policy and Florida Combined Life changing its payment policies surrounding scaling and root planning are just two of the recent wins by your FDA. The FDA offers insurance concierge services that include contract analysis, hands-on assistance with explanation of benefits and help with challenging aberrant insurance policies that affect our day-to-day ability to treat our patients. The insurance help the FDA has given my startup pediatric dental practice has been invaluable, says Dr. Carolina Escobedo of Kids 1st Pediatric Dentistry in Pinellas Park.

The “Ask” from your FDA is to contact us about your claim issues. While many of the incidents seem like it’s just a few dollars here and there, they do add up to significant profits for the insurance industry. Often, the payers hope the dental office won’t notice, or feel that the dental office won’t challenge the payment policy because it isn’t worth the effort.

Always remember, we are a much stronger voice collectively as an association than we are individually. Please consider reporting your claim issues to the FDA Chief Legal Officer Casey Stoutamire at cstoutamire@ floridadental.org or contact me, your ADA vice chair of the Council on Dental Benefit Programs, at BHughes@bot.floridadental.org.

FDA Secretary and Vice Chair of the ADA Council on Dental Benefit Programs, Dr. Bert Hughes can be reached at BHughes@bot.floridadental.org

The Ultimate New Patient Experience:

Practice Systems That Get to “Yes”

The Florida Dental Association’s (FDA) November/December 2025 article … “What your team says in the first 30 seconds determines everything” … was all about getting new patients in the door. In today’s ultra-competitive dental landscape, however, attracting new patients is only half the battle.

The real victory comes when a patient says yes to treatment, to returning and to referring. Getting to that yes — predictably doesn’t happen by accident. It’s engineered, through systems, team alignment and an experience that builds trust from the first touchpoint.

At IGNITEDDS, we’ve spent years honing these skills in our own practices, years coaching dental teams across the country and one thing is clear … the best practices don’t just deliver great dentistry, they deliver a great decision-making experience. Here’s how to craft a new patient journey that leads to clinical acceptance, financial clarity and long-term loyalty.

Yes is a System … Not a Surprise

From the moment a patient hears about your practice, whether it’s from an existing patient, a fellow professional or your digital presence, they’re beginning to evaluate if they can trust you.

The most successful practices map the entire patient journey before they ever walk through the door. This includes:

• Clear, empathetic phone systems that confirm value, not just availability

• Easy, mobile-friendly intake process — yep — patients want to be able to schedule themselves. Having the right process for this is a major differentiator today

• Highly trained team members that transfer trust from phone → front desk → clinician and back

• More than a complete exam, a calibrated clinical system, that delivers a personal diagnosis, without the pushy vibe and simple financial systems that help patients make it happen today

Key IgniteDDS Coaching Tip: If you haven’t studied dominance, influence, steadiness and conscientiousness

Dr. David Rice

(DiSC) behavioral styles to better align patient conversations with how patients make decisions, visit ignitedds. com/coaching and schedule a free consultation. We’ll show you how. Mastery of this single skill can elevate most new patients (and existing), yes, by 20%. Read that again and imagine getting 20% more, yes, 90 days from today. Systems get to yes, alignment with what matters most to each patient gets to yes faster.

A Clinical Exam That Shifts From Tooth to Tooth to Total Care

This might surprise you or anger you; the truth is, though, many new patients have never had a complete exam. They’ve had the code billed, they’ve had well-intentioned clinicians see the bigger picture, yet in the end, typically for fear of being shot as the messengers, they’ve had limited treatment, quick cleanings or insurance-driven check-ups. You have the chance to show them better.

A systemized new patient exam should include:

• Thorough medical history, dental history and patient goals

• Head and neck exam

• Comprehensive periodontal, restorative and occlusal exams

• Full series of radiographs (big fan of AI-assisted) intraoral photography or scan (like iTero or 3Shape)

• Risk factor assessments (caries, periodontal, occlusion)

• Patient co-discovery, asking, “What are your long-term goals for your smile?”

• An open discussion of findings, a personalized treatment plan and their at-home partnership plan

Why this matters: Patients don’t buy our treatment; they buy solutions to problems they believe they have. A system that shows them the why behind your diagnosis (and gives them a role in that discovery) builds urgency and trust.

Treatment Presentation: Clarity Converts

Too many treatment plans are presented like legal disclaimers. They bring too many options; they end up rushed, confusing and often focused on what insurance covers and doesn’t.

What if your experience was different? What if instead, you created a treatment presentation Standard Operating Procedure (SOP) that:

• Maximized visual aids (photos, scans, models)

• Framed the single, most appropriate plan that you’d want for yourself. And when needed, it could be delivered in stages (urgent → foundational → big picture), so no patient needed to compromise on optimal care; some just received it over time

• Focused on what they value and health … not just teeth

• Included the risk side of watching and waiting, aka, “What happens if I wait?” question

This is where clinical control meets communication control — and where many teams lose the “yes” by winging it.

Pro Tip: Incorporate same-day dentistry when appropriate. When patients are in the chair, ready and able — don’t delay, show them that efficiency is part of your care philosophy.

Remove the Financial Fear Factor

Finances are the #1 reason patients hesitate to say yes, even when they trust you. The fix? Bring options that make saying yes feel safe and if you want some objective experience from more than 31 years, don’t fear the lost percentage to patient financing, meaning don’t just offer financing to patients you perceive cannot afford your care.

Be sure every patient understands every option. Choice gives them control; control gives them confidence, and on our end, we see insane A/R in too many practices to deny that money in hand is far more valuable than chasing. Believing that giving up a little today is far more valuable than chasing it later.

Enter tools like CareCredit, Sunbit and a must-meet company if you don’t work with them already: Cherry. This team is hungry for our business and often offers more flexible, patient-friendly and practice-friendly financing,

practice management

We don’t believe in guesswork at IGNITEDDS. We believe in people (teams) who follow simple, sustainable systems that drive production (complete care) to create amazing outcomes.

and they make it all happen in less than two minutes, in real time. Text me at 716.912.7970 if you want an intro. Be sure to tell me why you’re texting, as I only do this for FDA dentists. That said, I get a lot of texts.

Your financial conversation system should include:

• A calm and confident handoff to your financial coordinator. Friends, this is key — if you want to set your clinical team free to diagnose and treatment plan for complete care and drive greater yes, make this happen now

• Pre-prepped options: insurance and knowing what co-pays will be before your patient walks in the door, in-office savings plans and patient financing

• Clear monthly payment breakdowns (visuals help!)

• A policy of discussing fees transparently before treatment begins, every time.

When patients know their financial path forward and it’s one they can control, you and I eliminate the biggest barrier to care.

Team and Knowing Trust Is a Transferable Skill

Here’s a simple truth: Patients don’t say yes to treatment. They say yes to people.

If your team isn’t speaking the same language, reinforcing the same values and setting each other up for success, you’re inadvertently creating confusion and confusion kills, yes.

Build systems for team calibration through:

• Weekly check-ins that include clinical, financial and case reviews

• Work on DiSC and understanding your patients so team members know how to adapt

• Role-play common patient objections, handoffs between team and treatment presentations

• Daily morning huddles on same-day treatment readiness and case acceptance metrics

Yes, it is a team sport and your systems are your playbook.

The Yes Beyond the Appointment

Most practices stop when the patient walks out the door. I get it, we’re all busy. High-performing practices, however, start a new journey.

Make sure your systems include:

• A follow-up call or text 24–48 hours after treatment plan presentation (ask your patient which they’d prefer)

• A digital copy of their treatment plan sent via email or portal (who else is a decision maker for your patient, significant other, adult child and a parent)

• Website and social media engagement that reinforces the value that sets you apart

• A pre-scheduled follow-up or re-care appointment, aka, no one leaves without a next appointment — no one

Bonus? Celebrate yes! When a new patient starts treatment, post a HIPAA-safe celebration story (with consent): “Another patient said YES to a healthier smile today!”

Final Thought … Yes is a Culture … Not Just a Conversion

The ultimate new patient experience isn’t about being “nice” or “polished” … it’s about being aligned. It’s about creating predictable, repeatable systems that help patients feel:

• Heard

• Understood

• Supported

• And able to say yes to the care they want and need

We don’t believe in guesswork at IGNITEDDS. We believe in people (teams) who follow simple, sustainable systems that drive production (complete care) to create amazing outcomes.

If you’re like most dentists and teams we meet, you’re working too hard, putting out too many fires and for too little. We get it, we’ve been there. When you’re ready to discuss, call me at 716.912.7970.

Till

Next Time … Together We Rise!

FDA members get a 10% discount; learn more at floridadental. org/member-center/member-resources/ignitedds. Dr. Rice can be reached at david.rice@ignitedds.com

Best-selling author, executive coach and founder of IgniteDDS, the nation’s largest community for new dentists and students, Dr. David Rice is a dynamic thought leader in the world of dentistry. With a passion for mentorship, leadership and business success, Dr. Rice travels the globe educating and connecting today’s top young dentists to their self-determined future.

As Editor-in-Chief of DentistryIQ and Adjunct Faculty at The Pankey Institute, Dr. Rice is at the forefront of innovation in dentistry, guiding professionals in clinical excellence, business mastery and leadership development.

news@fda

INTRODUCING THE NEW AMERICAN DENTAL ASSOCIATION CREDIT CARDS

The new American Dental Association (ADA®) Rewards World Elite Mastercards® are the only cards exclusively endorsed for the ADA and Florida Dental Association (FDA) members!

Choose the card that’s right for you. Earn 3x points on travel purchases and 2x points on gas and groceries with the ADA® Rewards World Elite Mastercard®. Earn 2x points on dental supply purchases with the ADA® Rewards World Elite Business Mastercard®. You’ll always earn 1.5 points on all other purchases with both cards, plus no annual fee and no foreign transaction fees. Redeem your points on travel, gift cards, cash back in the form of a statement credit and more!

Applications for the new ADA® Rewards World Elite Mastercard® are now open. Experience a world of exclusive benefits in travel, entertainment, dining and beyond. Go to adamastercard.com/ to apply today!

Contact ADA Mastercard at 888.293.1595, 888.487.0206 or visit ADA Mastercard at adamastercard.com/.

*Cardholder Terms, Limits, and Conditions Apply. See adamastercard.com for details. This card is issued by Cottonwood Payments pursuant

**Activation bonus points apply to upgraded customers. Rewards bonus varies for new customers.

FLORIDA DENTAL LICENSE

RENEWAL REMINDER — RENEW BY FEBRUARY 28

Reminder: All Floridalicensed dentists must renew their dental license by midnight on Feb. 28, 2026. Before renewing, visit CEBroker.com to review your continuing education (CE) credits or self-report any additional courses. Need additional CE? FDA members can access up to six hours of free online courses at floridadental.org/online-ce.

New requirement: All Florida-licensed dentists and hygienists must also complete a Level 2 background screening and fingerprinting prior to renewal. To avoid delays or license expiration, the FDA recommends completing this step at least 14 days before your renewal date. Learn more about the new requirement and find approved fingerprinting locations in your area at floridadental.org/ fingerprinting.

a

RECENTLY RETIRED OR RETIRING SOON?

If you’ve recently retired — or plan to retire before March 31, 2026 — contact us at fda@ floridadental.org or 850.681.3629 to request your Retired Affidavit via DocuSign.

Most retired members pay little to no dues while still enjoying full access to their benefits and services. We’re here to help you stay connected!

FLORIDA'S NEW DENTAL SCHOOL — LARKIN UNIVERSITY’S SCHOOL OF DENTAL MEDICINE

Larkin University’s School of Dental Medicine represents a significant expansion of dental education in Florida, positioned to become the fourth dental school in the state once fully established alongside the current institutions at Nova Southeastern University, the University of Florida and the LECOM School of Dental Medicine in Bradenton — though its planned opening in Winter Garden is still in

development and in the accreditation process with the Commission on Dental Accreditation. This new dental school is part of Larkin’s broader mission to transform health care education by preparing skilled professionals to meet the evolving needs of diverse communities in the state of Florida. The program aims to blend innovative, evidence-based clinical training with community engagement and service, equipping future dentists not only with clinical competency but also with the cultural sensitivity and ethical grounding necessary to advance oral health equity.

Aligned with Larkin University’s institutional mission and vision, the School of Dental Medicine embodies the university’s commitment to student-centered learning, health care excellence and community impact. Larkin’s overarching mission emphasizes educating diverse future health leaders through inclusive, innovative programs that address underserved populations and contribute to healthier communities locally and beyond. The vision extends this commitment by striving to become a nationally recognized leader in health professions education, service, and research, with the dental program playing a key role in advancing these goals. By embedding community service, cutting-edge technology and research into its curriculum, Larkin seeks to cultivate dentists who are compassionate caregivers, thoughtful innovators and advocates for public health who will positively influence oral care access and quality across Florida and beyond. A full article will appear in an upcoming issue of Today's FDA.

Dean and Professor Larkin School of

Dental Medicine

Steven E. Haas DMD, JD, MBA can be reached at shaas@ ularkin.edu.

UTILIZE THE FDA’S JUMPSTART PROGRAM IN SOLVING WORKFORCE CHALLENGES

The FDA’s Jumpstart program is an initiative to connect member dentists with pre-dental students who are interested in volunteering or working with dental offices. It’s a creative solution to assist in solving workforce chal-

Where in the World is Today’s FDA?

Thank you, Dr. Dean Manning, for taking Today's FDA to the Mont-Saint-Michel Abbey in Normandy, France.

Do you have vacation plans this year? On your next trip, take a copy of Today’s FDA with you, take a photo and send it to jrunyan@floridadental.org to see it featured in an upcoming issue.

Where will Today’s FDA venture next?

lenges faced by Florida dentists. Jumpstart is a fast pass for students to gain real-world experience, connect with dentists and master skills that will help them stand out in the dental school application process and in the competitive field of dentistry. All of this while providing staffing for offices that may have difficulty hiring the right people. A true win-win!

As a result of the FDA’s efforts, members can access a student directory at floridadental.org/jumpstart. It notes students’ geographic location, interests and roles they could fill. If you have an interest in engaging any of these students, please contact them directly and make suitable arrangements. If you know pre-dental students who may be interested registering, encourage them to visit floridadental.org/jumpstart to sign up and learn more about transforming their enthusiasm into expertise.

Welcome New FDA Members

Learn more by visiting our virtual Member Center at floridadental.org

The following dentists recently joined the Florida Dental Association (FDA). Their memberships allow them to develop a strong network of fellow professionals who understand the day-to-day triumphs and tribulations of practicing dentistry.

Atlantic Coast District

Dental Association

Dr. Aliya Adams, Tamarac

Dr. Allen Aptekar, Bal Harbour

Dr. Kenisha Brannon, Fort Lauderdale

Dr. Maria Lovo Caceres, Delray Beach

Dr. Gary Kijanka, West Palm Beach

Dr. Vincent Napoli, Stuart

Dr. Brian Nicholson, Jupiter

Dr. Christian Nguyen, Reading

Dr. Gustavo Ortegon, Coral Springs

Dr. Hilda Prieto, Stuart

Dr. Jorge Garaicoa Pazmino, Plantation

Central Florida District

Dental Association

Dr. Laura Anderson, Ormond Beach

Dr. Craig Barney, Deland

Dr. Thalita Coelho, Winter Garden

Dr. Mennattallah Elsayed, Orlando

Dr. Sara Feith, Palm Bay

Dr. Navreen Gosal, Palm Bay

Dr. Cesar Guimaraes Heleno, Oviedo

Dr. Kristin Kalwara, Young Harris

Dr. Wendy Magda, Debary

Dr. Lilian Mikhail, Orlando

Dr. Trent Miner, Melbourne

Dr. Shannon Robinson, Port St. Lucie

Dr. Mohammad Shahid, Longwood

Dr. Anthony Tawadrous, Daytona Beach

Dr. Joseph Wilmot, Gainesville

Northeast District

Dental Association

Dr. Vinicius Carvalho, St. Johns

Dr. Claudia Eisenhuth, St. Paul

Dr. Jessica Koster, St. Augustine

Dr. William Shaeffer, Jacksonville

Dr. Kateryna Zhukova, Jacksonville

Northwest District

Dental Association

Dr. Shawnah Banks, Santa Rosa Beach

Dr. Isaac Hinckley, Panama City

Dr. Natalie Masone, Miramar Beach

Dr. Matthew McGhee, Milton

Dr. Maxwell Yanken, Freeport

Dr. Julie Vilardo, Santa Rosa Beach

South Florida District

Dental Association

Dr. Matthew Calaigian, Miramar

Dr. Jordan Ecker, Pinecrest

in memoriam

Carl G. Wirth

Wesley Chapel

Died: 10/1/2025 Age: 92

Marten W. Quadland

Sarasota

Died: 10/13/2025 Age: 85

Joseph Thomas Yuravich

New Port Richey

Died: 11/2/2025 Age: 90

Dr. Brittany Ecker, Pinecrest

Dr. Vanessa Garcia, Pinecrest

Dr. Ahmad Majzoub, Davie

Dr. Nelia Espeso Napoles, Bloomfield

Dr. Isis Perez, Miami

Dr. Victor Velasquez, Coral Gables

Dr. Ashleigh Wu, Miami Beach

West Coast District

Dental Association

Dr. Denise Adegoke, St. Petersburg

Dr. Sarah Alkhwlani, Tampa

Dr. Christian Davila, Tampa

Dr. Jack Davidson, Lithia

Dr. Austin Intrieri, Clearwater

Dr. Earl Larson, Bradenton

Dr. Carolina Mendieta Facetti, Land O Lakes

Dr. Emily Porcelli, Land O Lakes

Dr. Ahmad Nahas, Tampa

Dr. Sandra Raouf, Tampa

Dr. Luiciana Gonzalez Vilorio, Riverview

Dr. Michael Ward, Sebring

Dr. Kelly Wray, Odessa

Dr. Giovanny Zalamar, Cape Coral

Dr. Jadyn Ziegler, Venice

The FDA honors the memory and passing of the following members:

Norman Browner

Miami Died: 11/4/2025 Age: 86

Arthur Stanton Burns

Jacksonville Died: 11/21/2025 Age: 93

David Merrill Plank

Maitland

Died: 11/29/2025 Age: 79

Hector A. Guzman

Key West

Died: 12/5/2025 Age: 63

Arthur Lawrence Sperling

Fort Lauderdale

Died: 12/16/2025 Age: 86

Robert Apfel

Miami Died: 12/18/2025 Age: 88

Henry Thorndyke Ellison

Boca Raton

Died: 12/23/2025 Age: 110

Practice financing1

Celebrating 40 Years of service

Built by dentists. Trusted for decades.

For 40 years, FDA Services Inc. (FDAS) has existed to serve one purpose: protecting dentists and their practices. What began as a bold decision by the Florida Dental Association has grown into a trusted insurance organization. This anniversary celebrates that commitment — past, present and future.

A Purpose That Never Changed

FDAS was created when dentists needed an advocate — someone willing to challenge the status quo and build a better solution. From those early decisions to today’s national presence, the mission has remained constant: simplify insurance, provide stability and stand beside dentists as their practices and careers evolve.

Built to Lead, Built to Last

From the beginning, FDAS was designed for the long term. Careful leadership, strong carrier partnerships and a steady focus on integrity created an organization dentists could rely on — not just for coverage, but for confidence.

What started as a response to a challenge became a long-term promise to dentistry.

Frank Lauria served as FDAS’s first general manager from 1986 to 2010 and played a central role in shaping the organization from its earliest days. With deep industry knowledge and steady leadership, he built FDAS from the ground up — establishing credibility, strong carrier partnerships and a professional insurance operation dentists could trust. Frank laid the foundation for the organization’s long-term stability and success, setting a standard that continues to guide FDAS today.

FDAS Board celebrates Frank Lauria’s (second from the right) retirement.

From Foundation to Future:

Reflections on 40 Years of FDA Services

Looking back at the Florida Dental Association Services (FDAS) as we celebrate our 40th anniversary, I’m struck by how extraordinary this journey has been.

I’ve had the privilege of spending 31 of the past 40 years here, watching the organization grow from an ambitious association initiative into a national insurance leader. But our story doesn’t begin with me — it begins with a challenge, an inflection point

and a general manager who built the foundation we stand on today.

Our Beginning: Malpractice Insurance Crisis

In the mid-1980s, dentists throughout Florida faced malpractice premiums that were climbing at an alarming pace. The FDA’s insurance administrator at the time could never substantiate the large rate

increases, frustrating our members and the FDA’s executive committee. It became clear that the current system was no longer working for our members.

Rather than continuing to be stonewalled, the FDA asked a bold question: What if we took responsibility for this ourselves? The FDA convened a task group on Insurance, and a second task group soon followed,

focusing specifically on malpractice. There was no playbook. No guarantees. Just a belief that dentists would be better served if organized dentistry had a direct hand in finding a better solution.

In 1986, the FDA engaged with an insurance consulting firm to explore self-administration of its insurance programs and then hired a seasoned insurance professional, Mr. Frank Lauria, to build the operation we envisioned. FDA Insurance, the early name for FDAS, was established.

The Frank Lauria Era (1986–2010)

Mr. Lauria became our first general manager, and it’s impossible to review our history without placing him at its center. He arrived with a deep industry knowledge, steady leadership and was poised to build a functioning insurance organization from the ground up. Those early years were about credibility, and strong partnerships mattered. In December 1988, First Professionals Insurance Company was selected as the FDA’s endorsed professional liability carrier — a critical validation that dentistry’s self-directed approach could coexist with strong underwriting and claims expertise.

Our story began with FDA leaders who had the bold vision and laid the groundwork — our achievements are a continuation of their legacy.

Mr. Lauria guided FDAS through more than two decades of industry change and economic cycles, always with the determination of someone who believed in what this organization could become. He didn’t sim-

ply run an insurance agency — he created the professional, trusted insurance operation that thousands of dentists now rely on.

fdas

When Mr. Lauria retired in 2010, he passed forward an organization that was stable, respected and ready for the next chapter.

My Journey: 31 Years and Counting

I came to FDAS in 1994, a young professional inspired by the organization’s purpose, members and mission. Through the next sixteen years under Frank’s leadership, I was fortunate to learn firsthand how decisions were made, how relationships were earned and how integrity must anchor every step.

In 2010, I stepped into the role of chief operating officer. To follow the founding general manager of any organization is a humbling responsibility, and I felt that deeply. My commitment since that day has been simple: honor the foundation and help build the future.

The Transformation We’ve Seen

During my three decades here, FDAS has evolved far beyond what any of us imagined. Together, we have: grown from a Florida insurance operation to a multistate brokerage built one of the strongest malpractice portfolios in dentistry expanded into property, workers’ comp., cyber and business owner’s policies partnered with leading carriers across the nation achieved consistent, record-setting growth.

Today, FDAS is proud to support thousands of dentists at every stage of their careers and to return millions in financial support to the FDA and organized dentistry in Florida.

Forty Years In, Still Purpose-Driven

As I reflect on 40 years, what I’m most grateful for is that the mission never drifted. FDAS still exists to simplify insurance for dentists. It still acts as an advocate, not just an interme-

diary and it still measures success not only in revenue, but in stability, protection and value delivered to the profession.

To our members, partners and colleagues — thank you. Your support has made this journey possible. I also extend my deepest gratitude to the dentists who trust us with their practices and livelihoods, to the teams and agents who carry forward the FDAS standard every day.

FDAS’s story began with FDA leaders who had the bold vision and laid the groundwork — our achievements are a continuation of their legacy. As we celebrate all we have achieved together, I am confident that the next chapter may well be the most exciting yet.

Photos:

1. Mr. Lauria (left), first FDAS general insurance manager and Mr. Ruthstrom (right), current FDAS general manager.

2. FDAS Board dinner celebrating Mr. Lauria's retirement. Mr. and Mrs. Lauria featured sitting at the center of the table.

3. A throwback to some of the first meetings and minutes of FDAS, Inc.

FDAS Chief Operating Officer Scott Ruthstrom can be reached at scott.ruthstrom@fdaservices.com

board of dentistry

Florida Board of Dentistry Meets in Gainesville

The next BOD meeting is scheduled for Friday, Feb. 13, at 7:30 a.m. ET in Gainesville.

The Florida Dental Association (FDA) was represented by Board of Dentistry (BOD) Liaison Dr. Steve Hochfelder and Chief Legal Officer Casey Stoutamire. Drs. Jarek Cegielski, Dan Crofton, Chris Hambrook, Jim Haddix, Bert Hughes and Samira Meymand were also in attendance. Dean Isabel Garcia attended, along with students from the University of Florida College of Dentistry. Dental assisting and hygiene students from Santa Fe State College were also present.

BOD members present included: Dr. Nick White, chair; Ms. Karyn Hill, vice-chair; Drs. Brad Cherry, Tom McCawley and Jose Mellado;

hygiene member, Ms. Angela Johnson; and consumer member, Mr. Ben Mirza. There are three open dental positions and one open consumer position on the board.

The board reviewed many licensure applications. Several applications were submitted under the MOBILE endorsement. As a reminder, legislation was passed during the 2024 legislative session that created this licensure pathway. To qualify for licensure, a dentist must:

• Must hold an active, unencumbered license issued by another state, the District of Columbia or a territory of the United States in a profession with a similar scope of practice, determined by the board or the department, as applicable.

• Must have obtained a passing score on a national licensure examination or hold a national certification recognized by the board.

• The BOD defines this type of examination as either the ADEX exam or a regional board examination, such as the NERB. A state-specific examination does not meet this requirement.

• Must have actively practiced the profession for at least three years during the four-year period immediately preceding the date of submission of this application.

• Must not have ever been reported to the National Practitioner Data Bank (NPDB), unless the applicant successfully appealed to have the report removed or if the reported adverse action was a result of conduct that would not constitute a violation of any Florida law or rule.

• Must not be the subject of a disciplinary proceeding in a jurisdiction in which he or she holds a license or by the United States Department of Defense for reasons related to the practice of the profession for which the applicant is applying.

The next BOD meeting will be held Feb.13 at 7:30am in Gainesville.

• Must not have had disciplinary action taken in the five years immediately preceding the date of submission of the application.

• Must meet the financial responsibility requirements of s. 456.048, Florida Statutes, or the applicable practice act, if required for the profession for which you are applying.

• This requirement is for malpractice insurance.

Before reviewing the MOBILE applications, Board Counsel Mr. Ed Tellechea advised the board of a recent legislative change that allows the board to grant a MOBILE license even if the application includes information reported to the NPDB (see bullet four above). Thus, the board questioned each applicant about the circumstances that led to the prior discipline or settlement reported to the NPDB. The board granted licenses to the majority of those applicants. Others were denied because the discipline occurred within the previous five years, and the statute requires that an applicant have no prior discipline within five years of their MOBILE application.

The board approved the proposed change to 64B5-16.0051 and 16.0061, which cover restorative functions. The course now requires a clinical and lab session for restorations

classes I, II, III and V, but does not delineate between composite and amalgam. Thus, amalgam is no longer required to be taught.

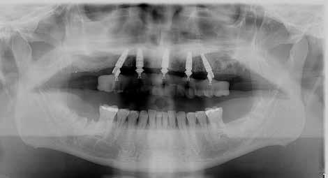
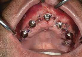
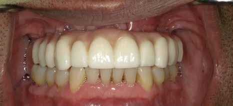
The board also approved the proposed changes regarding implants. The rule language for assistants reads:

• The following remediable tasks may be performed by a dental assistant who has received on the job training and who performs the task under general supervision:

• Polish clinical crowns. The dental assistant may use slowspeed or rotary instruments when performing this function.

• Remove implant hybrid prosthetic dentures with a string attached to the removing tool at all times.

• Remove healing abutments and place scan body on the implant in order to be able to perform intra oral digital scanning.

• Placing intermediate material that serves as a barrier between the implant screw and the restoration of the access screw of the implant restoration.

The rule language for hygienists now reads the same. However, the tasks are under indirect supervision. As a reminder, these rules are not yet effective, as they still need to move through the rulemaking process. Please contact the FDA with any questions on the effective date.

Dr. Nick White was re-elected as chair and Ms. Karyn Hill was re-elected as vice-chair for the upcoming year. The FDA looks forward to working with them.

There were seven disciplinary cases, two determinations of waivers, one informal hearing and one petition for reconsideration. This was a particularly tough meeting as there were two cases involving a patient death due to sedation. Another case involved the dentist failing to document and refer a patient with a noticeable lesion on her tongue; the patient died soon thereafter from that cancer. Other cases included improperly delegating a duty to a dental assistant and failing to practice within the standard of care regarding bridges, implants and crowns. Remember, it is much better to be a spectator than a participant in BOD disciplinary cases.

FDA Chief Legal Officer Casey Stoutamire can be reached at cstoutamire@ floridadental.org.

Starting Jan. 1, 2025, FDA members have free, confidential access to AllOne Health‘s counseling and work/life services.

The Florida Dental Association’s (FDA) Member Assistance Program (MAP) can help you reduce stress, improve mental health and make life easier by connecting you to the right information, resources and referrals.

All services are confidential and available to you and your household as an FDA member benefit. This includes access to short-term counseling and the wide range of services listed below:

Mental Health Sessions

Manage stress, anxiety and depression; resolve conflict, improve relationships and address personal issues. Choose from in-person sessions, video counseling or phone counseling.

Life Coaching

Reach personal and professional goals, manage life transitions, overcome obstacles, strengthen relationships and achieve greater balance.

Financial Consultation

Build financial wellness related to budgeting, buying a home, paying off debt, resolving general tax questions, preventing identity theft and saving for retirement or tuition.

Legal Referrals

Receive referrals for personal legal matters including estate planning, wills, real estate, bankruptcy, divorce, custody and more.

Work-Life Resources and Referrals

Obtain information and referrals when seeking childcare, adoption, special needs support, eldercare, housing, transportation, education and pet care.

Personal Assistant

Save time with referrals for travel and entertainment, professional services, cleaning services, home food delivery and managing everyday tasks.

Medical Advocacy

Get help navigating insurance, obtaining doctor referrals, securing medical equipment and planning for transitional care and discharge.

Member Portal

Access your benefits 24/7/365 through the member portal with online requests and chat options. Explore thousands of self-help tools and resources including articles, assessments, podcasts and resource locators.

Modern Payment Tools

Built for Dental Practices

Best Card Makes Payment Collections easier with Online Tools Designed for Dental Practices.

Website payment buttons and Text-to-Pay

Automatic-posting into popular dental software.

Card vault

Want to pass on credit card fees?

We offer compliant surcharging, too.

Scan the QR code to get a free savings analysis, see how Best Card helps offices simplify payments and save more each month.

The Overlooked Key to a Smooth Practice Transition:

How FDA Services Simplifies the Insurance Process

for Buyers and Sellers

For many dentists, opening a dental practice is one of the most meaningful career milestones they will ever experience. It’s exciting, transformative and can often be overwhelming.

Dentists will typically surround themselves with advisors, consultants, an accountant, a lawyer and a lender. Yet one critical piece of the process is frequently overlooked until it becomes urgent. What about the insurance requirements tied to closing a practice sale?

This is where FDA Services (FDAS) plays an essential role. As the insurance partner trusted by dentists for decades, FDAS works hand in hand with transition companies and financial institutions to make the insurance component of a practice transition as effortless, timely and stress-free as possible.

Mr. Ruthstrom
Mr. Zottoli

practice transitions

One of the biggest advantages FDAS brings is its independent broker model. Because we represent multiple insurance carriers, dentists can access a broader range of options with a single phone call. Remember, coverage requirements can vary from one lender to another and one landlord (if applicable) to another. Our ability to shop across carriers ensures that the necessary policies are placed promptly, competitively and appropriately for the unique circumstances of each transaction.

FDAS also offers what most brokers cannot: true specialization in dentistry. We understand the operational, regulatory and financial realities of owning a dental practice and we focus on providing the coverages that all dental practices should consider. Why trust your transition with anyone else? This expertise allows us to anticipate needs, avoid common pitfalls and prevent last-minute scrambles that can stall or jeopardize a closing.

Another major benefit for dentists is the ability to consolidate their entire insurance portfolio under a single agency. Our unique ability to offer all of the insurance products a practice owner should consider makes transition deals move quickly. Instead of coordinating with several insurance brokers, each handling one piece of the puzzle, FDAS can build an entire package in one place. This means fewer phone calls and a single point of contact to ensure everything is completed on time.

Our close relationships with major dental lenders provide yet another layer of efficiency. Because we work

with these institutions daily, we know what they require, when they need it and how quickly documentation must be delivered. This familiarity reduces unnecessary backand-forth and ensures dentists are never left waiting on insurance paperwork when the rest of the deal is ready to close.

Perhaps most importantly, FDAS brings decades of hands-on experience navigating practice transitions. We have supported countless buyers and sellers, and we understand both the pressure and the excitement of this major professional decision. FDAS’s goal is simple: remove the insurance burden so dentists can stay focused on the transition itself — patients, staff, financing and the future of the practice.

Dental practice transitions are complex, but the insurance portion doesn’t have to be. With FDAS as your partner, coverage requirements are handled accurately and efficiently with the confidence that comes from working with a team dedicated exclusively to serving dentists. For any dentist preparing to buy a practice, having FDAS on your team is one of the smartest steps you can take to ensure a smooth and stress-free closing.

FDAS Chief Operating Officer Scott Ruthstrom can be reached at scott.ruthstrom@fdaservices.com and FDAS Atlantic Coast Director of Sales Dan Zottoli can be reached at dan.zottoli@ fdaservices.com

practice transitions Understanding the Allocation of Assets and Minimizing the Tax Liability in a Practice Sale

As a rule of thumb, if we brokered 10 deals, I would estimate that eight of the 10 would have 80% of the allocation to goodwill (capital gains). This is primarily because most of our sellers have offices with dated décor and equipment.

When you sell a practice, you’re not just agreeing on a price; you’re also determining how that price is allocated across different asset categories, and that breakdown can significantly impact your net proceeds. To reduce your tax burden, it’s important to understand which parts of the sale are taxed in which way. Under current tax rules, ordinary income can be taxed up to 37%, while capital gains top out at 20%. For sellers, the goal is to allocate as much of the purchase price as legally permissible to goodwill (capital gains) rather than to furniture, fixtures and equipment (ordinary income). Below is a list of such assets and how they are categorized by the Internal Revenue Service (IRS).

Ordinary Income Capital Gains

• Equipment • Goodwill

• Furniture and fixtures

• Computers

• Leasehold improvements

• Consulting agreement

• Dental supplies

• Covenant not to compete

TOTAL $1,000,000.00 $234,000.00

*Does not include state taxes, if applicable

**Assumes the Taxpayer is in the highest ordinary tax rate

Using the above list as a guide on how to allocate the sales price to your benefit as a seller (to minimize the income taxes as a result of the sale), a majority of the sales price would need to be allocated to goodwill as opposed to fixtures, furniture and equipment. Above in Fig. 1, I will demonstrate the potential tax costs associated with the sale of a dental practice at $1,000,000. When doing a projection, we like to implement a worst-case scenario mindset; therefore, the current highest tax rate of 37% will be used.

As you can readily see from the above, the blended tax costs are approximately 23% of the sale price of $1,000,000 ($234,000 / $1,000,000). The more of the sale price that is allocated to hard or tangible assets, the higher the tax costs to the seller. With this, if you and a prospective buyer are close on terms but cannot agree on a purchase price, you could shift your focus to asset allocation to achieve the same net effect. If you used the same example above but moved an additional $100,000 of the purchase price to goodwill, bringing the total to 90%, you could net another $17,000.00 in tax savings.

As a rule of thumb, if we brokered 10 deals, I would estimate that eight of the 10 would have 80% of the allocation to goodwill (capital gains). This is primarily because most of our sellers have offices with dated décor and

equipment. If the practice has newer décor and a greater number of high-value pieces of equipment (e.g., CBCT, CEREC), it may have a lower allocation to goodwill and a higher allocation to fixtures, furniture and equipment.

Now, let’s flip the script — from the buyer’s perspective, they want more of the allocation to fixtures, furniture and equipment rather than goodwill, which the seller desires. So, you may ask yourself, why does the buyer want more allocated fixtures, furniture and equipment? The depreciation/amortization chart below will help you understand why this is the case.

Ordinary Income Property Capital Gains Property

• Equipment (five years) • Goodwill (15 years)

• Furniture and fixtures (seven years)

• Computers (five years)

• Leasehold improvements (15 years)

• Consulting agreement (immediate)

• Dental supplies (immediate)

• Covenant not to compete (15 years)

For example, the buyer wants a majority of the sales price allocated to the equipment, because it can be written off (expensed/depreciated) over five years, whereas goodwill is amortized over 15 years.

practice transitions

IRS Requirements

When you sell a dental practice, the IRS requires both the buyer and seller to disclose such within their income tax returns in the year of sale. The information disclosed is: who the buyer is, who the seller is, the sales price and how the sales price was allocated. The IRS form that requires such information is IRS Form #8594, Asset Acquisition Statement under IRS Code Section 1060. If you would like to review such a form, please go to: irs.gov/ forms-pubs/about-form-8594

Disclaimer: Doctor’s Choice Practice Transitions is not a Certified Public Accountant firm, nor do we provide accounting, tax or financial advisory services. Any information shared by our

team is for general informational purposes only and should not be considered tax or financial advice. We strongly recommend consulting with a qualified certified public accountant or tax professional regarding any financial, tax or accounting matters related to your practice transition.

Doctor’s Choice Practice Transitions Broker and Chief Executive Officer Greg Jones can be reached at 561.746.2102 or info@doctors-choice.com.

NEED HELP WITH PATIENT COMPLAINTS?

The Most Overlooked Tool in a Successful Dental Transition

Practice transitions are hard. A transition is a change and change comes with challenges from personal to professional, affecting every individual related to you and your practice.

Leading up to a sale or partnership, though, there are steps that will not only set you and your practice up for reduced stress, a smoother process and better outcomes (and a maximized return), but also reap benefits in the meantime. Practice transition specialists can help make this easier by leveraging experience and

expertise to avoid turbulence, but the process of making a transition successful starts with a thorough practice valuation.

Perhaps you are thinking, “Well, I already know what my practice is worth.” While you may have an idea of what your practice may sell for based on anecdotal evidence, it’s a misconception that a valuation only yields an opinion of value. In reality, a proper report should have depth of

analysis that serves as a tool to help you strengthen your practice, increase your personal take-home and serve as a GPS waypoint. It is a comprehensive assessment that weighs your practice’s data and characteristics against other industry statistics and context to arrive at a supportable result. To be clear, it’s many factors, combined with knowledge, insight, actual sales data (which may not be readily or publicly available) and understanding of dentistry and the local and overall marketplace.

practice transitions

While a valuation alone won’t guarantee a seamless transition, it is the single most underused tool for creating the possibility of one.

Ultimately, practice value is a function of two items: net income (related to "Earnings Before Interest, Taxes, Depreciation and Amortization" or EBITDA) and risk. What is that net income number, (hint – it’s NOT likely to be what’s on your tax return or financials)? What is the practice’s true, ongoing earning power? Once calculated, how is that interpreted and translated?

From here, risk is determined. While you may think that higher risk equals higher reward, in practice, value and transition, lower risk or the ability to show continuity and stability, yield more marketplace interest and therefore value and price. What does this mean? A practice with better systems, stable staff, sustainable patient flow, consistent collections, an assumable production mix, a viable location and more is the engine that keeps on running. And that engine is valuable. If write-offs are high, production is specialized or not easily reproducible, staff frequently turns

over, patients come and go, value and sale price diminish. Instability is generally not rewarded!

So when should you do this? Now. If you are considering a transition soon, the report will provide guidance on pricing and the best go-tomarket strategy to yield the highest return. If you are not thinking about transition for many years to come, starting now provides time to make the necessary changes, let them settle in and for the practice to run. Whether the tune-up is extensive or minor, the investment pays off the earlier you start the process. And, it should always pay off.

While a valuation alone won’t guarantee a seamless transition, it is the single most underused tool for creating the possibility of one. It provides clarity and insight, and allows for actionable targets. It helps you understand where your practice stands today — so you can determine what to do to shape its value tomorrow.

A valuation isn’t just about preparing for a sale. It’s about preparing for your future.

Mr. Greg Auerbach is the son of a successful dentist and grew up seeing how a quality practice runs. Evaluating and transitioning Florida practices for more than twenty years, he now oversees the Henry Schein Dental Practice Transitions (HSDPT) Valuations and Operations teams that, nationally, review more than 500 and transition more than 250 practices each year. He also serves as the Managing Broker for the Florida HSDPT team of local representatives. Utilizing broad skills and experiences, Mr. Auerbach leverages a data first pragmatic process with his teams and clients.

Mr. Auerbach can be reached at Greg.Auerbach@henryschein.com

The DDS program allows me to help those in need with dentistry in my own office. Everyone should volunteer, it’s so gratifying and the patients truly appreciate you.

Volunteering is easy.

A p

Follow us on Social CONNECT AND STAY INFORMED

The Florida Dental Association (FDA) is a state constituent of the American Dental Association (ADA), which represents dentists throughout the country.

@FloridaDentalAssociation

@fda_dental

@FDADental

@florida-dental-association

@floridadental

Florida Dental Chatter is a private Facebook group designed for dentists to interact with other members, receive the latest updates and information and engage with FDA leaders and sta .

Stay informed with updates on the education and event o erings for the Florida Dental Convention. You'll also find details about other continuing education events hosted by the FDA, including webinars, Women Inspire and Navigate Dentistry (WIND) and more.

@floridadentalconvention

@florida_dental_convention

@FLDentalConvt

@florida-dental-convention

@floridadentalconvention

Stay in the know with FDA Services about practice insurance resources, risk management tips and industry updates by following our page.

@FDAServicesInc

@fda_services

@FDAServicesInc

@fda-services-inc-

The FDA Foundation is the philanthropic and charitable organization for dentistry. Bringing together volunteer dentists, donors and community partners to serve the underserved and uninsured in Florida.

@FloridaDentalAssociationFoundation

@florida_dental_foundation

GOVERNMENTAL AFFAIRS OFFICE

The FDA Governmental A airs O ce (GAO) Instagram account is for FDA members only and is used to promote legislative and political advocacy throughout the year.

Profit and Loss Statement:

What Is It and How Do You Use It?

The Profit and Loss Statement (P&L) is one of the most commonly used business tools, but few dentists truly understand what it is or how to use it. Many dentists allow their bookkeepers and/or accountants to prepare their P&Ls and then tell them how they are doing. The problem with this is that your certified public accountant (CPA) is really looking at this tool in order to minimize your tax burden (hopefully), not necessarily to help you run your business.

How a P&L is prepared depends on how it will be used. If you only want it for tax purposes — fine, let your CPA do it. But if you want to use it in order to help you run your business, you will need to be involved.

There are two ways to run your P&L: cash basis or accrual. Most small businesses run on a cash basis, which means you record income when you deposit it in the bank and expenses when you pay the bill. If you are set up on an accrual basis, that means you record income when you charge it out (think of production without adjustments) and you charge expenses as soon as you receive a bill.

One of the most important features of setting up a P&L to run your business is the chart of accounts. If you allow your CPA to set this up, you will most likely be missing a lot of important information. An example

could be lab fees; your accountant would most likely put this as a single line item, but it may be helpful for you to have fixed, removable, implant-associated and ortho separated. If these are lumped together, your practice information will be inaccurate. Another category might be dental supplies. It might be helpful for you to know how much you are spending on implants, for example, if you place implants, but your CPA will just put them all in one bucket. When you set up your chart of accounts, you can be as detailed as you like. Using a program like QuickBooks can be helpful in this aspect.

Most P&Ls are organized into three sections: revenue, cost of goods and operating expenses. When setting up the revenue section, it can be helpful to break out categories such as cash or check, credit card, CareCredit and, if applicable, Medicaid. It may also be useful to track hygiene collections separately from doctor collections. While cost of goods is a standard category, it is typically less relevant for a service-based business such as dentistry. In theory, you could put supplies and lab fees there, but since we as dentists do not manufacture any finished goods, we have no raw materials to put in that section. If you do have a cost of goods section, you will see a line item labeled gross profit. This number is just revenue minus the cost of services. The last section is operating expenses, where you will list all costs necessary to operate your practice. At the end, you will see operating profit, which

is where you can see how you are doing. Typically, your accountant will list additional categories below this line, such as depreciation and amortization; these are not actual cash categories but are used for tax purposes.

One important category that dentists frequently either understate or do not use is doctor income. In order to have a realistic idea of whether you are actually making money, you need to at least pay yourself in your P&L as if you were paying an associate. I recommend booking 30% of doctor collection to doctor salary if you are a solo practitioner. That is not to say that this is the income reported on your tax return, but it allows you to see if your practice is profitable. Too many solo doctors say that the operating income is their salary without booking any salary for themselves. This gives an inflated view of the practice’s actual profitability.

It is also important to include that number if you are looking to sell your practice because the buyer will adjust your P&L to fit into their chart of accounts, and this will help you to have realistic expectations of what your practice may be worth.

In general, a healthy practice will have an EBITDA (Earnings Before Interest Taxes Depreciation Amortization) of around 20%. Your highest expense will typically be salaries, ideally no more than 20% for staff and 30% for the doctor, for a total of 50%. These numbers are guidelines, not hard and fast, but they are

One of the most important features of setting up a P&L to run your business is the chart of accounts. If you allow your CPA to set this up, you will most likely be missing a lot of important information.

numbers buyers consider seriously, so even if you are not looking to sell, you should run your practice as if you are to get the most out of it.

Unfortunately, these are not items that we learn in dental school. They are not inherently difficult, though. Even if you are not a practice owner, knowing these things can be helpful in the long run. Time spent successfully understanding and managing your P&L will put you on the road to professional and financial success.

Dr. Tim Marshall is a past FDA Treasurer and can be reached at btmarshall@msn.com.

In These Challenging Times Why Practice Analytics Are Your New Best Friend

In today’s competitive dental market, clinical experience alone won’t be the golden ticket that propels your practice to success. Navigating factors such as balancing patient care quality with financial constraints, patient acquisition, ever-changing regulatory necessities and declining reimbursement from insurance companies make creating and maintaining a profitable practice arduous at best.

But managing practice operations effectively, combined with superior clinical expertise, supplies the strategic foundation to build a thriving dental business.

According to the American Dental Association (ADA), the average dental practice owner earns

$151,000 less in profits today than in 1980, when adjusted for inflation. This amounts to nearly a 50% decrease in earnings. This article aims to provide dentists with an analytic practice management system tailored to the specific needs of their practice. Knowing what metrics to gauge and how to maximize potential can help ensure a healthy and profitable dental practice.

practice analytics

In my 25 years of dental consulting, I have found that dentists often lack adequate training in business management strategies. As many dentists can attest, our business training in dental school can be described as “too little, too early.” If you are a practice owner, you are expected to generate all the revenue for the practice, but you are also responsible for managing business operations. The complexity of this dual role is often what motivates newer graduates to opt for employment rather than ownership. Dentist owners must be well-versed in areas such as human resources, systems management, marketing and data analysis. This training can be acquired through various means, including courses, webinars, and networking with other dentists. What is certain is that dental practice success requires strategic business practice training in addition to clinical expertise.

Success, and particularly financial success, should both be viewed thorough an individualized lens. For some, success is realized through the size of the practice and the number of collections. For others, it is about the feelings of contentment and service the practice owner experiences by treating his or her patients. What constitutes success may hinge on factors such as integrity of service, skills and knowledge, commitment to quality care, effective communications and more. The methods of assessment outlined here are not dependent on monetary outcomes. The system we will discuss does not discriminate. Its sole purpose is to help you achieve your own goals for your practice.

Whatever your underlying motivation for achieving successful dental practice ownership, the fact remains that without financial success, you cannot rely on the other aspects of ownership to sustain you. So, while financial success may not be your primary motivator, it’s a necessary component of any long-term success. And when it comes to long-term growth and profitability, the earlier you undertake changes to the financial posture of your practice, the greater the benefits to you. Small changes, implemented early, can have a significant impact on your long-term financial picture. To prove this point, if you saved $1,000 per month from your net profits for 35 years

and saw 7% interest on your investment, you would have an account worth over $1,812,000 at the end of the term.

Let’s face it. Change is not something that most people look forward to. As the saying goes, growth and comfort don’t coexist. But growth can yield many benefits in all areas of life. It is an essential component of business and life, and without it, stagnation ensues.

The foundation of financial success for a dental practice lies in analytics. The use of analytics in operations management enables dentists to scrutinize their practice outputs, allowing them to easily, consistently and successfully evaluate and make the necessary changes to achieve their practice goals. Analytics empowers dentists to optimize practice operations and maximize profitability. In addition, analytics provide the dentist or owner with data-backed information that can enhance operational efficiency, identify potential risks, streamline operations, improve the customer experience and increase efficiency. Best of all, the use of analytics is not difficult or time consuming. It can be an easy, accurate path to practice success.

So, how do analytics work, and what specific analytics should we track? The analytics used in your practice should be tailored to the particular goals you want to achieve. For example, if your goal is to double the size of your practice within the next three years, you would need a specific set of analytics to track. However, if your goal were to reduce your practice to three days per week from four days per week while maintaining profitability, the analytics needed to track progress towards that goal would be different.

With that said, I would like to outline what I consider a good starting set of analytics for any practice. Keep in mind that the first advantage of tracking analytics is to see where your practice is “at.” Sometimes, awareness of your current situation alone will be enough to spur a practice to success. By using the set of numbers outlined below as a starting point, you can establish a strong foundation upon which to evaluate your practice and set future goals.

practice analytics

Begin with the following:

• The number of active patients in your practice

• Your collection numbers

• The ratio between doctor-generated collections and hygiene-generated collections

• Collection per active patient per year

• Profit

• Overhead as a percentage of collections

• Total overhead expenses cost

• Staff costs

• Facility costs

• Lab costs

• Supply costs

• Administrative costs

Let’s examine each category individually for a more detailed explanation. Let’s also determine what your target goal should be and what any particular analytic may be telling you.

Active Patients

There are many ways to calculate the number of active patients in your practice, but my preferred method, and the one that works the best, is to calculate the total number of recall visits your practice has had in the last year and then multiply that number by between 0.70 and 0.75. The best way to tabulate the number of recall visits for a year is to add up all the adult prophies (01110s), child prophies (01120s), and all the perio maintenance visits (4910s). As you track this over time, you can determine if your practice is truly growing or shrinking in terms of total patient volume. This will have significant ramifications for how you structure your practice, both now and in the future. Active patient counts are the backbone of all analytics to follow.

Here’s an example of this calculation: 1,000 recall visits for 2024 x 0.75 = 750 active patients.

While there is no target goal for the number of active patients for each practice, it’s important to understand that,

generally, the more active patients you have the higher your collections will be and the more profit your practice will have.

Practice Collection Numbers

Collection numbers are best tracked on a monthly basis and can be easily obtained from any practice management software. Again, as in the number of active patients, there is no set goal amount for collections. It is specific to each practice. The fundamental importance of these numbers will become evident as we discuss other analytics. However, a simple monthly tracking of collection numbers will tell you precisely what is happening in your practice.

The Ratio Between Doctor and Hygiene Collections

This number is also easily accessible from your practice management software. It should be tracked every month and evaluated over time. In general, the ideal ratio is 65% doctor and 35% hygiene. As before, space does not allow me to detail all the evidence as to why this is ideal; however, many years of evaluating dental practices have proven to me that this is the goal you should strive to achieve.

What can this number tell you? For instance, if your ratio is 75%-25% doctor collections, that may indicate you are an aggressive treatment planner or that your restorative fees are higher in comparison to your hygiene fees. What might a lower doctor percentage foretell? Perhaps you are not an aggressive treatment planner, or your financial policy is too restrictive, or your case presentation skills need some improvement, so that patients accept your treatment plans more often. The benefit of tracking this analysis is that it will reveal how your practice is performing now, and if necessary, it can point you in the right direction to start looking for solutions.

Collection Per Active Patient Per Year

This is the most essential and functional analytic that any practice can track. With just one number, you can get a nearly complete snapshot of what’s happening inside any dental practice. The computation of this number is quite simple. You divide the collection by the number of active

Success in practice, including financial success, is a goal that every dental practice owner should strive for. Without financial success, it is challenging to maintain a sustainable practice that satisfies all stakeholders.

patients. It is most accurate to calculate this over a year, but it can also be done in shorter periods. As an example, $500,000 of collections divided by 1,000 active patients = $500/active patient per year.

While this analysis tends to be practice-specific, the average annual collection/active patient per year for dentists in the Northeast region of the United States is $776 per active patient. This is a rough point of comparison and can tell you a significant amount about your practice. For example, if your collection/active patient count per year was $1,000, that may indicate several things. It could indicate that you are very skilled at treatment planning or that you provide a range of specialty services that are often referred to specialists. It may signify excellent case presentation skills or an excellent financial policy. Conversely, if your number was $400, that may signify conservative treatment planning, low fees, or large amounts of dentistry referred.

The value of the collection per active patient per year is that it is akin to taking a blood pressure reading of your practice. It tells you how you are doing. Once you have the number, you need to evaluate if you are satisfied with where you are, and if you are, keep doing what you are doing. If not, and you want to make changes, this will provide some starting points for change. Then, you can use the number as a barometer for any changes you make.

Profit

A successful dental practice does not hinge solely on profit, but profitability is a key indicator of a well-run business. I have found that the most-profitable dental practices have the happiest patients, staff, and, yes, dentists. Higher profits mean that you can retain your staff when others are trying to poach them. It means you can invest in the latest technology or update your office to make your patients’ visits more comfortable. Profit

can also make your practice life more enjoyable. One of the most disheartening aspects of my consulting duties is when I meet a dentist to weigh a transition and after discussing it with them, it becomes evident that they no longer have a passion for dentistry, but they do not have enough money set aside to leave the profession. This scenario leaves the dentist with few palatable options.

The calculation of profit is also pretty simple. You subtract your expenses from your collections, and what remains is your profit. Track your profit every month, but only legitimate expenses count when calculating your profit. Depreciation, interest payments, excessive rent paid to yourself, excess continuing education expenses, and salaries paid to family members that are not necessary are just a few of the items that should not be counted as legitimate expenses. I am not saying that you should not take advantage of all legal means to reduce your tax liability. But — it is best to be brutally honest with yourself as to what your true profit is.

A simple way to determine if an expense should be deducted from profit is to ask the question, “Is the particular expense in question necessary to run the practice, or is it a benefit for the dentist?” If it’s the latter, it is not a legitimate expense. Similarly, as with the number of active patients and collections in general, there is no norm to strive for, and this will vary from practice to practice. The true benefit happens when you track this over time. Awareness of this number will often trigger the necessary changes for dentists and their dental practices where increased profit is a goal.

Expenses

Expenses should be tracked not as an actual number but as a percentage of the collection. Raw numbers are not important unless viewed as a percentage of collec-

practice analytics

tions. There are accepted targets that you should meet to ensure profitable practice. Expenses should be tracked in total and individual categories. Generally, dental practices should strive for an overhead that is below 55% of collections. This is becoming increasingly challenging to achieve, but it remains a worthwhile goal to aim for. For the individual categories, the goals are as follows:

Facility Costs

Facility costs refer to the actual expenses incurred for the operation and maintenance of the facility. These include rent, utilities, repairs and maintenance, property taxes, common area maintenance charges and condo fees, as well as all other expenses associated with owning or renting the property. If you own the physical space your practice is in, your facility cost should include any debt service payments as facility costs if you have a loan for the building purchase. However, this does not include the rent you may or may not pay yourself.

Lab Costs

These are easy to obtain. Just ensure that your lab costs are solely for your lab expenses and nothing else.

Lab costs

Supply costs

Administrative costs

than 5%

than 9%

I will freely admit that these are challenging targets to hit, but they are percentages that you should strive for if you would like to be as profitable as possible. If you are running high in one or two categories, try to be below in the other categories. Additionally, it is essential to understand that the most effective way to reduce your expense percentages is to increase your collections. Most of our expenses in dentistry are fixed; at least, they do not grow in proportion to increases in collections. If you have higher collections, your percentage expense categories will decrease.

Now, let’s look at what constitutes each of these expense categories.

Staff Costs

Staff costs refer to expenses related to the office staff, excluding those of the dentists in the practice. Staff costs should include not only pay but also payroll taxes, vacation or bonus pay, and any other staff benefits provided to staff. And most importantly, these costs are only for staff actually working in the practice.

Supply Costs

These costs are complicated for some practices to control, and since the COVID-19 pandemic is hard to keep them below 5%. Some words of advice: Establish a budget based on your collections, and stick to it. Additionally, the best way to control supply costs is to establish a budget and then have someone else, preferably someone in the office, order supplies rather than doing so yourself. Don’t meet with supply reps unless you have the fortitude to say, “I can’t buy that without my supply person approving it.” We all have supplies in our cabinets that are out of date or expired because we couldn’t resist a sales rep’s offer.

Administrative Costs

The best way to describe this category is that everything that is a legitimate expense that does not fit into the above categories is an administrative expense. That does not mean that practice owners should not scrutinize this category. I have found that the more a practice collects, the higher its administrative expenses will be. We worry less about any specific expense the more money we collect. Keep in mind that any cost is a direct deduction from your profit.

What Analytics Reveal

Once you have calculated your analytics, the next step is to interpret what they reveal about your practice. The

first question to ask yourself is, “Am I satisfied with my current practice?” Likewise, are you happy with your overall collections, the number of days worked, staff makeup, compensation, and, most importantly, your practice’s profit?

If the answer to these questions is yes, then continued tracking of your analytics will ensure that you remain satisfied. If problems do arise in certain areas, the regular evaluation of your analytics will serve as an early warning indicator of potential issues on the horizon. Many times, in my consulting capacity, when I question dentists about their situation and I present them with their analytics, they are shocked. Their usual response is, “I had no idea this was happening.” If you track your analytics over time, you will never be caught unaware of changes that are occurring in your practice.

If the answer to the question of whether you are happy with your practice is no, then you can use the information revealed from your analytics to formulate a practice improvement plan. Limited space does not allow for an in-depth discussion of all possible scenarios, but your analytics will point you in the right direction for the necessary changes. One quick example will help illustrate this. Several years ago, I was asked by an established dentist to assist her with a program aimed at increasing her new patient numbers. After some calculations, it was determined that she was attracting 45 new patients per month, but had been experiencing declining revenue for the past three years. What was needed for this practice was not more patients but instead a better system

of taking care of the patients already in the practice. We utilized the analytics of this practice to devise an overall plan to address the problems. An expensive marketing plan was not part of that plan. Instead, her efforts and money were put in the correct places to solve her problems.

Success in practice, including financial success, is a goal that every dental practice owner should strive for. Without financial success, it is challenging to maintain a sustainable practice that satisfies all stakeholders. That includes patients, staff, and dentists. Practice analytics are easy to obtain and straightforward to interpret. The use of this vital tool can make the business side of dentistry easier to manage. Analytics can improve decision-making, enhance the patient experience, and drive operational efficiency. A quick and accurate method of measuring practice success using analytics will help ensure a prosperous future for you in dental practice ownership.

About the Author

Dr. Patrick Houlihan has been involved in dental consulting and practice transitions for more than 20 years, currently as founder and president of The Houlihan Group. He is a frequent guest lecturer for the Michigan Dental Association (MDA), the University of Detroit Mercy, University of Michigan schools of dentistry and other groups. Dr. Houlihan was in private practice from 1983 to 2019 and also serves as director of the MDA Forensic Dental Identification Team. He resides in Novi and can be reached at phoulihan@thehoulihangroup.com

Reprinted with permission from the Michigan Dental Association.

The Overlooked Intersection of Intimate Partner Violence and the Business of Dentistry

Intimate partner violence (IPV) is often viewed as a social or criminal justice issue. Still, it is also a critical health, workforce and business concern, with profound implications for dental practices.

As oral health professionals, dentists and dental teams are uniquely positioned to recognize signs of abuse, support patient safety and strengthen workplace culture during practice transitions or organizational growth.

IPV is remarkably common. Nationally, one in four women and one in 10 men experience IPV in their lifetime, and up to 75% of IPV injuries occur to the head, neck and face, areas routinely examined in dental settings. This makes dental practices an essential, and often the only, point of contact for survivors who may not access other medical or social services.

But the intersection with dentistry extends far beyond clinical exams.

Impact on Patient Care and Clinical Practice

Survivors may present with facial trauma, chronic or unexplained pain, missed appointments or anxiety when discussing treatment plans or finances. During transitions, such as establishing new protocols, onboarding staff or integrating new ownership, consistent training in trauma-informed care helps ensure that patients experiencing IPV feel safe, respected and empowered.

Dentists do not need to “diagnose” IPV to make a difference. Simple, evidence-informed approaches, such as universal education (“We give everyone information on healthy and safe relationships”), reduce stigma and provide survivors with a discreet path to resources. This also protects the practice from inadvertently escalating danger by pressing for disclosure or confronting a suspected partner.

IPV as a Workforce and Business Issue

IPV affects staff performance, attendance, concentration and long-term stability. Survivors often struggle with financial abuse, stalking or threats that follow them to work. For dental practices navigating transitions — mergers, acquisitions, new partnerships, practice expansion — strong internal policies become even more essential.

intimate partner violence

Supporting Staff is Good Business:

• Improved retention: Staff who feel safe and supported are more likely to stay through organizational changes.

• Reduced disruptions: Addressing IPV proactively minimizes unexpected leave, scheduling gaps and turnover costs.

• Enhanced culture: Trauma-informed workplaces foster trust — critical during practice transitions, where morale and communication shape success.

A simple strategy is to provide all employees with information on IPV resources, integrate safety and confidentiality protocols into HR practices, and train supervisors to respond empathetically if concerns arise. These practices align with modern workforce expectations and strengthen the dental business’s reputation and resilience.

Your Role in Prevention and Safety

Dental professionals are not expected to act as social workers or investigators. Your role is to create a safe, judgment-free environment, offer brief education and connect patients or staff to expert resources when needed. National hotlines, state coalitions and local service providers can offer what survivors need, including safety planning, shelter, legal assistance and financial advocacy.

Your role is to create a safe, judgment-free environment, offer brief education and connect patients or staff to expert resources when needed.

By integrating trauma-informed practices into both clinical care and business operations, dental professionals help safeguard patients’ well-being, strengthen team stability and support a healthier, more resilient practice — no matter where you are in your transition journey.

The Florida Partnership to End Domestic Violence’s Chief Program Officer, Tanesha McDonald, can be reached at tanesha mcdonald@fpedv.org

FPEDV is committed to supporting you through training, resources and collaborative opportunities that strengthen your response to IPV in clinical settings. For more information, visit fpedv.org or contact us directly to learn how to integrate IPV awareness better into your practice.

1

Using Leaf Gauges and Load Testing to Capture an Accurate Centric Relation Bite Registration

Centric relation (CR) represents the fully seated positions of the condyles in the glenoid fossae. The hallmarks of CR are properly aligned condyle-disk assemblies that are in the most superior-anterior position against the eminences. When properly aligned, the condyle-disk assembly in CR can withstand the maximum loading from the elevator muscles (masseter, medial pterygoid and temporalis) without causing the patient discomfort.1

Without posterior tooth contacts, all elevator muscles pull the condyles upward to seat them in the CR position, which is musculoskeletally stable. Conversely, the inferior lateral pterygoid muscles are responsible for forward positioning of the mandible to align the teeth with maximum intercuspation (MI) when CR does not coincide with MI. Consequently, the lateral pterygoid muscles are in antagonistic contraction to the upward force of the three strong

elevator muscles each time the jaw closes. The goal of CR is complete relaxation of the inferior lateral pterygoid muscles. Muscle relaxation could only be accomplished in the absence of deflective occlusal interferences to CR.

A method introduced by Long2 in 1973 uses leaf gauges to facilitate the separation of posterior teeth and to locate CR. The technique involves placing an occlusal stop — leaf gauges — in the anterior section of the mouth to eliminate posterior deflective occlusal interferences to

Fig.

CR and then asking the patient to attempt to occlude on the posterior teeth.

ately placed between the central incisors, the mandible cannot close completely, and the patient’s mus cles deprogram from their existing deflective malocclusion. Maintaining separation of the posterior teeth for a sufficient period will allow the patient’s condyles to be seated in the CR position by the elevator muscles. Coupled with bilateral mandibular manipulation — load testing — as advocated by Dawson are especially helpful in obtaining a CR bite registration for mounting a patient’s cast on an articulator. termining CR is critical to all occlusal therapy, including the identification of occlusal interferences on mounted casts before selectively eliminating them on enamel; when fitting and adjusting crowns before cementa tion; and for making maxillary CR occlusal guards. is mastered, the dentist could use it periodically to relieve painful spasms of the lateral pterygoid muscles. This could eliminate the need for occlusal guards or for drugs to reduce muscle contractions.

Technique Tips for a Simplified Method of Recording Centric Relation with the Leaf Gauge and Load Testing

A popular brand of leaf gauges (Great Lakes Dental Technologies, Tonawanda, N.Y.) employs 50 flexible mylar strips, or leaves, which are riveted together so that they can be opened like a fan. The leaves are approximately 0.1 mm thick, 13 mm

Fig. 2. Thumbs should meet over the symphysis of the chin. The remaining fingers are together on the posterior half of the mandible.

patient opens their mouth, the dentist holds the gauges against the palatal surfaces of the maxillary central incisors at the midline to separate the posterior teeth upon closure.

• Recline the patient’s chair approximately 45 degrees to allow gravity to reposition the mandible. Begin by using approximately one-half of the stack of leaf gauges to acclimate the patient to the sensation of having their anterior teeth touch while their posterior teeth are separated. After the

• Ask the patient to close the mouth until the mandibular incisors contact the underside of the leaf gauges. Instruct the patient to slide the jaw forward (edge-toedge protrusive) and then posteriorly again to establish the pattern needed as we proceed. (This

bite registration

should be rehearsed before using the leaf gauges.)

• It is recommended to have two to three mm of interocclusal space between the two points in the posterior dentition in closest proximity, not just from cusp tip to fossa. As a guide, three to four mm of incisor opening will result in two to three mm of opening, respectively, in the first molar region. This space is sufficient for an adequate thickness of bite registration material. (If a CR bite registration is made for the fabrication of an occlusal guard, then enough leaves should be used to produce a minimal posterior tooth separation of 1.5 mm for

adequate thickness of acrylic resin, and the bite registration and mounting of casts should be made at that vertical dimension.) Centric relation must be recorded when the patient’s teeth are as close as possible to contacting, yet without any posterior teeth touching. With the leaf gauge in the mouth, verify this by asking the patient if any posterior teeth are touching. Use shim stock, held in a Miller forceps, to check for unwanted posterior tooth contacts. If tooth contacts are detected, then add additional leaves and reposition the gauge. Instruct the patient to protrude the mandible on the gauge and then retract. It is essential to instruct the patient to move the mandible into a protrusive and then a retrusive position each time the leaf gauge is replaced in the mouth. The patient should exert a “half-hard” bite (a bite that would prevent the dentist from removing the leaf gauges). If necessary, add one or more leaves to ensure disarticulation of all posterior teeth.

• With the posterior teeth out of occlusion, the patient should bite on the gauge for approximately five minutes to allow their muscles to deprogram. As they deprogram, the muscles should adapt to their new environment by relaxing to seat the condyles naturally in their CR positions in the fossae. It has been suggested that protrusion of the mandible — and the accompanying distraction

of the condyles from the fossae — is avoided with this technique because contraction of the lateral pterygoid muscles is relieved as the patient bites firmly on the leaf gauge.3,4

• Continue to query the patient about the presence of any posterior tooth contact(s). Ask them to point to the area of the first contact. Identify any contacts with the shim stock and add a few additional leaves to disarticulate the teeth. Replace the gauge, have the patient bite, then slide forward, then back and check for proper clearance of the posterior teeth. Whenever leaf gauges are removed from the patient’s mouth, direct the patient to keep the teeth apart. This will maintain the deprogramming of the adaptive mandibular closure path.

• It is considered ideal to combine leaf gauges with bimanual load testing because with an anterior bite stop in place, load testing to verify CR is the only way to achieve accuracy.1 While the patient is biting on the leaf gauges, use load testing to drive the condyles in the CR positions (Fig. 1). This procedure should ensure there is no joint movement from CR until an interocclusal bite registration is made. To rule out intracapsular disorders before firm load testing, begin with gentle pressure and inquire if the patient feels tenderness in the temporomandibular joints (TMJs). If pressure produces tenderness

Fig. 3
Fig. 3. Untrimmed (top) and trimmed (bottom) PVS bite records. Casts are more accurately and completely seated in trimmed bite records.
Photography by Dr. Stan Hack.

in either joint area, the axis of closure (CR) is likely incorrect.

The Bimanual Guidance (Load Testing) Technique

The bimanual guidance technique requires several specific criteria that, if violated, make the seating of the condyles unpredictable. These criteria are:

1. The patient’s head should be against the clinician’s abdomen to help stabilize the cranium and reduce the need to stretch the clinician’s arms, which could create a downward vector due to the weight of the arms.

2. The elbows must be down and relaxed.

3. The dental chair and the clinician’s chair must be properly aligned so that the patient’s head is at a good supporting height and the clinician’s upper legs are parallel to the horizontal.

4. The hand and finger positions must be explicitly aligned, as illustrated in Fig. 1. The clinician’s little finger and ring finger should cradle the angle of the mandible. All four fingers should be curled like a “C” against the inferior border of the mandible. The thumbs should touch and should fit into the notch above the chin button and gently retract the lower lip away from the lower incisal edges to prevent the patient from biting the lip. It also allows the clinician to view the incisal edges and gain a better understanding

of the relationship between the anterior teeth.

5. The thumb also completes the grasp of the mandible, enabling the clinician to guide and exert gentle control. Bend the major thumb joint so that it rests on the chin button in a downward direction; straight thumbs increase the chance of forcing the mandible rearward.

6. All lifting of the mandible must come from the distally placed last two fingers (Fig. 2). The other fingers are cupped on the inferior border and are positioned to grasp the mandible gently. The last two small and weak fingers duplicate the direction of the closing (elevator) muscles and are opposed by the gentle pressure coming from the downward position of the thumbs. These hand positions ensure that the resultant vector of the condyles points upward with a slight forward component.

• Deprogram the patient for approximately five more minutes. As the patient bites on the leaf gauges, use a fast-setting polyvinyl siloxane (PVS) bite registration material (e.g., Futar D, Kettenbach Dental, Eschenburg, Germany) to capture CR. Remove the leaf gauges and dry the maxillary posterior teeth thoroughly to enhance the adherence of Futar D to the occlusal surfaces. Extrude Futar D on the posterior teeth up to the canines on each side of the

arch. Then reinsert the leaf gauges and remind the patient to slide their mandible forward and then backward and bite on the gauges for 30 to 45 seconds while the bite registration material sets. Visually verify that sufficient Futar D was placed to capture the bite. If not, extrude additional material from the buccal side while the patient bites on the leaves. It is best to register bites as two separate entities to facilitate trimming afterward.

• Ask the patient to open their mouth, then remove the bite registrations and inspect them for any perforations or thin areas. If you discover either, add additional leaf gauges and remake the bite registration. Use an acrylic laboratory bur or sharp knife to trim the bite registrations to eliminate excessive material covering axial walls and/or soft tissue. Only cusp tips and the primary occlusal tooth anatomy should be captured in the record (Fig. 3).

• Once the bite record has been trimmed, the next step is to stabilize the mandibular cast for mounting to the already facebow-mounted maxillary cast. The casts should fit into the bite registration records with no bounce; they should sit stably in the bite record.

The leaf gauge is a useful, practical and inexpensive alternative to the anterior acrylic jig (e.g., Lucia jig). Clinical training and experience with

Take the first step on the path to dental radiography certification. Train online, at your own pace. Study anywhere! The Florida Dental Association (FDA) Online Radiography Training Program provides you the formal training you need, with the professional development you want. Enrich your career path while contributing a vital service to your patients and dental team. It’s the most convenient and economical way to get the radiography training required by Florida law. It’s affordably priced, too — just $285 per student* for FDA members!

load testing, with the use of a leaf gauge anterior deprogrammer, and with interocclusal bite registration materials should improve accuracy when recording CR.6 Two literature reviews 6,7 cited the works of eight investigations of the accuracy of interocclusal bite registration materials (polyether, PVS, acrylic resin, irreversible hydrocolloid, plaster, zinc oxide, composite resin and wax) used to mount casts in CR. Six of eight investigations found PVS produced the least vertical error when use to mount casts. Loads of up to one kilogram (2.2 lbs.) could be used to approximate maxillary and mandibular casts to each other in a PVS bite record without causing a discrepancy from compression — without changing the recorded maxillomandibular relationship — of the interocclusal record.6 The use of one interocclusal record does not always guarantee accurate mountings in CR; it is recommended to make multiple bite records to confirm accuracy.

It has been shown that when patients occlude on leaf gauges for five minutes without posterior tooth contact, the condyles are displaced in a superior direction with little anteroposterior movement.8 The study showed that mandibular condyles

bite registration

were displaced superiorly approximately 0.8 mm. With leaf gauges, the retruded mandibular position was found to be more superior than that found using bimanual manipulation alone. Biting forces of 50 to 100 N (11.3 to 22.5 lbs.) on leaf gauges — within the range of what humans typically exert on anterior teeth — were required to permit registration of the CR position.8

The advantages to placing the mandibular condyles into the CR position include (a) enabling the mandible to repeatedly make a purely rotational movement through an incisor separation of 10 to 25 mm, which permits transfer of this axis to an articulator, (b) patients functioning comfortably in CR after selective occlusal equilibration, full-mouth rehabilitation, during occlusal guard therapy, and when wearing complete dentures, and (c) patients reporting quick relief of their painful TMJs after wearing an occlusal guard or biting on a leaf gauge.

If the leaf gauge is used for selective occlusal equilibration, then the procedure should begin with the mandible in the CR position. Leaves are gradually removed, one at a time, and occlusal contacts are checked

with shim stock and then marked with thin articulating ribbon, and the necessary enameloplasties are completed as each leaf is removed. The same procedure is used to locate and eliminate working, non-working, and posterior protrusive interferences on an occlusal guard to produce an appliance that provides mutually protected occlusion and anterior guidance. 9, 10

Figure

Fig. 1. With a leaf gauge between the central incisors, the posterior teeth are disarticulated. Bimanual mandibular manipulation is used simultaneously to help seat the condyles in CR. Photography by Dr. Stan Hack.

References Avaiable Upon Request

Dr. John Antonelli, MS, is a professor in the department of prosthodontics and chair, faculty development committee at Nova Southeastern University College of Dental Medicine in Fort Lauderdale. He has published significantly in the field of prosthodontics and he could be reached at antonell@nova.edu.

FDAS CROWN SAVINGS

50% reduction in loan administration fees.

800.497.6076 bankofamerica.com/practicesolutions

Competitive pricing and significant savings. tdsc.com 888.253.1223 support@tdsc.com

TDSC

35% off iCoreExchange HIPAA-compliant email. 888.810.7706 icoreconnect.com

abyde.com/fda

carecredit.com/dental

adamastercard.com

ada.org/mercedes

Americans with Disabilities Act —

Many dental practices are being sued for having public-facing websites that do not meet the Americans with Disabilities Act’s standards. This flowchart and the websites mentioned can help you identify potential issues with your practice’s website and hopefully save you from potential legal jeopardy as it relates to your practice website.

accessibe.com/accessscan

www.accessibilitychecker.org

www.audioeye.com/website-accessibility-checker

www.skynettechnologies.com/accessibility-checker

wave.webaim.org

FDA Career Center

Empowering Dental Teams with Evidence-based Practice

We have all encountered situations like these: patients relying on online articles or influencer videos to promote “natural remedies,” such as oil pulling to cure periodontal disease, or refusing fluoride treatment because of misinformation on social media.

Others arrive with serious oral health damage — including gum recession or tooth mobility — after attempting DIY treatments inspired by viral trends.

Recently, I was consulted on a case involving a patient, Mrs. L, who was determined to use a charcoal-based whitening powder she discovered

through a popular wellness blog. Marketed as “dentist-approved”, the product claimed to naturally whiten teeth and was supported by testimonials and a document styled to resemble a scientific paper. Upon closer review, the paper lacked peer review and was, in fact, an opinion piece authored by the company’s marketing team.

As dental professionals, we increasingly encounter flawed or unsupported information that continues to influence patient decisions. The

challenge is not only clinical; it is also educational and ethical. How do we guide patients toward sound, evidence-based choices when they are inundated with conflicting messages? How can the dental team approach these conversations with empathy and science, without embarrassing the patient, while respecting autonomy and ensuring the patient feels heard?

The digital age has gifted us with a massive load of information, yet it has simultaneously created a land-

fdc2026 speaker

scape where misinformation and marketing claims often drown out credible science. We, as a profession, must approach cases like these with evidence-based practice (EBP). It’s not just about knowing the science. It’s about communicating it effectively, confidently and professionally, respecting patients’ autonomy, and following your ethical clinical decision-making.

But how do we define what the “best” evidence is? The core principle of EBP is the integration of the best available evidence with clinical expertise and patient values, applying the hierarchy of evidence and critically appraising its quality and relevance. The American Dental Association (ADA) defines EBD as “an approach to oral health care that requires the judicious integration of systematic assessments of clinically relevant scientific evidence, relating to the patient’s oral and medical condition and history, with the dentist’s clinical expertise and the patient’s treatment needs and preferences” (ADA, 2019).

The EBD process follows five essential steps:

1. Ask the Question: Formulate a focused clinical question using a structured framework such as PICO to define key concepts.

2. Acquire the Evidence: Search reputable databases and resources to identify the most current and relevant research.

3. Appraise the Evidence: Critically evaluate the evidence for validity, significance and applicability to your patient’s situation.

4. Apply the Evidence: Integrate the best available evidence into patient care while considering clinical expertise and patient preferences.

5. Assess the Results: Reflect on the outcome and determine whether the applied evidence achieved the desired results.

Hierarchy of Evidence

This table summarizes the levels of evidence commonly used in dentistry and health care.

Level Description Trust Factor & Applicability

I (Highest) Clinical Guidelines, Systematic Reviews, and Meta-Analyses of RCTs

II Single HighQuality Randomized Controlled Trials (RCTs)

III Cohort Studies or Case-Control Studies

IV Case Series or Case Reports

V Expert Opinion, Editorials or Bench Research

Gold Standard: Synthesized summaries of multiple high-quality studies; minimizes bias and confounding (e.g., ADA Guidelines).

Strong internal validity; randomization reduces bias.

Observational; useful for prognosis and risk assessment but more prone to bias and con-founding.

Detailed reports on individual or small groups; helpful for rare conditions but low generalizability.

Non-systematic opinions or in vitro studies; highest risk of bias and often the basis for marketing claims.

In Mrs. L’s case, the “article” turned out to be Level 5 evidence, an opinion piece heavily influenced by the company’s marketing strategy. The source was commercially funded, and its structure represented the weakest form of scientific credibility. By guiding Mrs. L through the hierarchy of evidence, we shifted the conversation from “it looks scientific, so it must be credible” to understanding what truly constitutes high-quality evidence. It is important to remember that when products are new, evidence may be limited. A lack of evidence does not necessarily mean a product is ineffective — but it does mean we

fdc2026 speaker

cannot claim efficacy without supporting data. Additionally, evaluating potential benefits and harms is a critical component of evidence-based decision-making.

The ability to look beyond persuasive headlines and accurately place information within the hierarchy of evidence is a foundational skill for evidence-based practitioners. It empowers us to help patients navigate the overwhelming information landscape with clarity and confidence.

Finding and Vetting the Evidence

Efficiently locating, critically appraising and applying evidence in clinical practice is an essential skill for every healthcare professional. Providing credible, evidence-based information, educating patients and making ethical decisions must remain central to patient care.

Systematic Reviews (SRs) are considered the gold standard because they synthesize findings from multiple high-quality studies, reducing bias and offering a comprehensive view of the evidence (ADA, 2019). As busy practitioners, we need the ability to quickly identify and evaluate these reviews to ensure they are both trustworthy and clinically relevant.

Avoid common pitfalls:

• Google is not a clinical evidence search engine. While convenient, it often surfaces non-peer-reviewed or commercially biased content.

• Exercise caution with AI tools. Although AI can assist by suggesting resources or refining search strategies, its outputs may include inaccuracies or “hallucinations.” Always verify information from established sources such as PubMed, the Cochrane Library and guidelines from professional organizations such as the ADA.

The efficient way to access reliable evidence is through resources that prioritize pre-appraised, high-level evidence:

Professional Organizations (Dental & Medical):

These organizations develop or endorse Clinical Practice Guidelines based on expertly appraised SRs.

• General & Public Health: ADA, APHA (American Public Health Association), IADR (International Association for Dental Research)

• Specialty Dental: AAPD (American Academy of Pediatric Dentistry), AAOMS (American Association of Oral and Maxillofacial Surgeons), ACP (American College of Prosthodontists), AAE (American Association of Endodontists), AAOM (American Academy of Oral Medicine)

• Interprofessional: AMA (American Medical Association), AHA (American Heart Association), AAP (American Academy of Pediatrics), ACOG (American College of Obstetricians and Gynecologists)

Cochrane Database of Systematic Reviews:

Widely regarded as the highest standard for SRs in healthcare. Searching the Cochrane Library ensures you start with methodologically rigorous reviews.

PubMed – Using Filters for Precision: For broader searches, PubMed is an excellent resource. To quickly find Level I evidence:

• Step 1: Enter your clinical question or keywords (e.g., “dental implants peri-implantitis”).

• Step 2: Under “Article types” in the left-hand menu, select “Systematic Reviews” or “Meta-Analysis.” This simple filter saves time by excluding case reports, editorials, and basic science studies.

Other Resources:

The Trip Database is a clinical search engine designed to help practitioners quickly find and use high-quality research evidence to support practice and patient care.

The Rapid Appraisal Check

Once you identify a SR or another relevant article, the next step is to evaluate two essential factors: Relevance and Quality.

Critical appraisal requires some understanding of biostatistics and study design, but it is far more than an academic exercise as it protects your patients and your practice.

A well-designed study with robust methodology is critical for producing valid, reliable and credible results. Methodological rigor minimizes bias and controls for confounding variables, ensuring that findings reflect true relationships rather than flaws in the design. This precision strengthens both internal and external validity, allowing results to be generalized to broader populations. Ultimately, methodological soundness is the cornerstone of evidence-based practice and scientific integrity (ADA, 2019).

When critically appraising a study, ask these three key questions:

1. Are the results valid?

2. What are the results?

3. Will the results help my patients?

Critical appraisal requires some understanding of biostatistics and study design, but it is far more than an academic exercise as it protects your patients and your practice. It ensures that recommended treatments are backed by reliable science, improving outcomes and reducing the risk of ineffective or harmful interventions. This fulfills our ethical obligation to “do no harm.” In a world saturated with biased studies and commercially driven claims, the ability to separate scientific rigor from marketing or political spin establishes you as a trusted advocate for patient health.

By filtering information through these EBP principles, you avoid poor-quality literature and apply evidence confidently and efficiently, streamlining clinical decision-making. Mastering these skills, from locating credible evidence to critically appraising its relevance and quality, positions you to navigate today’s complex information

with confidence. This ability is fundamental to advocating for and delivering the highest standard of care.

Critical appraisal is at the heart of Evidence-Based Practice. While finding evidence is important, evaluating its strength and applicability is what ensures ethical, patient-centered decisions. There will be times when evidence is limited or unavailable, and knowing how to proceed responsibly in those situations is equally essential. These topics, and more, will be explored at FDC2026.

References:

American Dental Association, Carrasco-Labra, A., Brignardello-Petersen, R., Glick, M., Azarpazhooh, A., & Guyatt, G. (2019). How to use evidence-based dental practices to improve clinical decision-making. American Dental Association.

Dr. Jaana Gold earned her dental degree from the University of Oulu in Finland. She also earned a master’s degree in public health from the University of Florida and a specialty degree in dental public health from New York University. She is a diplomate of the American Board of Dental Public Health and holds a certification in public health from the National Board of Public Health Examiners. Dr. Gold is a clinical professor and director of extramural rotations at the University of Florida College of Dentistry. Dr. Gold can be reached at jgold@dental.ufl.edu.

Dr. Jaana Gold is presenting the course “Skills to Advocate and Promote Evidence-Based Practice” on Thursday, June 25 at the Florida Dental Convention in Orlando. This course is free for FDA members. Learn more and register beginning on March 1 at floridadentalconvention.com

Full Arch Implant Reconstruction in the Digital Era:

Past, Present and Future

Full-arch implant reconstruction has revolutionized dentistry and oral rehabilitation, offering patients a viable solution for complete tooth loss and restoring function, aesthetics and quality of life.

Over the years, this treatment modality has evolved significantly through advancements in technology,

materials and techniques, resulting in improved outcomes and patient satisfaction. This article explores the evolution of full arch implant reconstruction, tracing its history, innovations and future directions.

Historical Background

The concept of dental implants dates to ancient civilizations, where various materials were used to replace missing teeth. However, modern dental implants as we know them began to take shape in the mid-20th

century. In 1952, Swedish orthopedic surgeon Dr. Per-Ingvar Branemark discovered that titanium could integrate with bone, leading to the development of the concept of osseointegration — the process by which bone bonds with the implant surface.

Early root-form dental implants were primarily single-tooth replacements, but as techniques improved, the focus shifted to solutions for patients with complete edentulism (loss of all teeth). The introduction of the "All-on-4" concept in the 1990s by Dr. Paulo Malo and his group marked a significant milestone, allowing for the placement of a full arch of prosthetic teeth on just four strategically placed implants. This innovative approach reduced the need for bone grafting and enabled faster rehabilitation.

Advances in Technology and Techniques

1. Digital dentistry

The rise of digital technology has profoundly impacted full arch implant reconstruction. The integration of cone beam computed tomography (CBCT) imaging provides detailed 3D views of the patient's oral anatomy, enabling precise treatment planning. Digital impressions, face scans, photogrammetry and computer-aided design/manufacturing (CAD/CAM) allow for the creation of facially driven custom prosthetics with exceptional accuracy and fit, streamlining the entire process.

2. Immediate loading p0rotocols

Immediate loading protocols have transformed the way full arch

reconstructions are performed. Traditionally, patients had to wait months for osseointegration before receiving their final prosthesis. With advances in implant design and surface technology, it is now possible to load implants immediately after placement in certain cases. This approach significantly reduces treatment time and enhances patient satisfaction by providing functional teeth sooner.

3. Enhanced materials

The evolution of materials has also played a crucial role in full arch implant reconstruction. Modern dental implants are made from biocompatible titanium alloys, and surface treatments have improved osseointegration. Additionally, advancements in prosthetic materials, such as zirconia and high-strength polymers, have allowed for the creation of strong, aesthetic and durable dental restorations that mimic the appearance and function of natural teeth.

4. Minimally invasive techniques

Minimally invasive surgical techniques have gained popularity, reducing patient discomfort and recovery time. Techniques such as guided implant surgery enable precise placement of implants with minimal tissue trauma. This approach not only improves healing but also enhances the predictability of the surgical outcome.

Current Practices in Full-Arch Implant Reconstruction

Today, full arch implant reconstruction is a well-established treatment option with a high success rate. The

typical process involves a comprehensive evaluation, including imaging, treatment planning and consultation. Based on individual needs, treatment may include:

• Bone Grafting: If bone density or volume is insufficient, bone grafting procedures may be performed to create a stable foundation for implants.

• Implant Placement: Depending on the clinical situation, implants may be placed using traditional or immediate loading techniques. The procedure could be performed freehand or guided utilizing surgical guides, navigation systems or a robotic approach.

• Prosthetic Design: Custom prosthetics are designed to match the patient’s aesthetic preferences and functional needs.

Case Report

A 58-year-old male patient presented to our dental practice with terminal dentition in the maxillary arch. The patient reported difficulty chewing, persistent pain, and aesthetic concerns regarding the condition of his upper teeth. Upon examination, it was evident that most of his upper teeth were severely compromised, with extensive periodontal disease and bone loss contributing to their instability.

After a comprehensive discussion regarding the benefits, risks, and expected outcomes of alternative treatment options, the patient expressed a desire to proceed with full upper arch implant reconstruction using the All-on-X protocol, recognizing

the advantages of improved function and aesthetics.

A thorough clinical and radiographic assessment was conducted. Cone beam computed tomography (CBCT) was used to evaluate bone quantity and quality in the maxilla, confirming sufficient bone for implant placement. Digital records, including facial and intraoral scans, along with photos, were collected at the pre-op visit. The patient was also screened for systemic health conditions that could affect healing and implant success, and his medical history was reviewed, revealing no contraindications to surgery.

Based on the pre-treatment assessment, a surgical guide was created

from the patient's digital impressions. This guide facilitated precise implant placement during the surgery.

The surgical procedure was performed under local anesthesia with oral conscious sedation for patient comfort. The following steps were taken:

1. Pre-surgery digital records: Reference markers were placed at the Palat, and an intraoral scan of the upper arch was taken with the markers in place.

2. Seating surgical guide: A full-thickness flap was raised to allow the surgical guide to be seated. The surgical guide was both tooth- and bone-supported.

Teeth are supported to minimize the guide's horizontal movement during fixation. Bone is supported via a nasal verifier seated at the nasal floor to minimize guide vertical movement during fixation. This will confirm that the guide's seating is accurate, and consequently, bone reduction and implant placement will be exactly as planned on the planning software pre-surgery.

3. Extraction of remaining teeth: All terminal teeth in the upper arch were extracted, and the socket sites were prepared.

4. Bone reduction: Guided bone reduction performed to assure proper restorative space for the prosthesis and confirm that the

transition line is at least three mm above the smile line.

5. Implant placement: Five implants were strategically placed in the maxilla as planned. The timing of implant placement was confirmed. The positioning of the implants was optimized to maximize stability and support for the prosthesis, considering the patient’s existing bone structure and the smile design already planned.

6. Immediate loading: Five MUA’s (multi-unit abutments) were seated utilizing the MUA guide, and the timing of angled MUA placement was confirmed.

7. Post-surgery digital records: After adapting the flap in place and suturing, digital data was

obtained using photogrammetry and an intraoral scanner to connect the implant position and soft tissue to the smile design to finalize the provisional design.

8. A 3D-printed provisional hybrid fixed prosthesis was fabricated and immediately attached to the implants 24 hours after placement, allowing the patient to leave the offic e with functional teeth the next day.

The patient was given detailed post-operative instructions, including guidelines for oral hygiene, pain management medications, and dietary recommendations. A follow-up appointment was scheduled for two weeks post-surgery to assess healing and the stability of the provisional prosthesis.

At the follow-up appointment, the patient reported minimal discomfort and was pleased with the aesthetics and functionality of the provisional prosthesis. Clinical examination revealed good soft-tissue healing around the implants, with no signs of infection.

At four months, the patient returned for the placement of the final prosthesis. The implants had integrated well, and a custom final prosthetic restoration was fabricated using high-strength materials to ensure durability and aesthetics. The patient expressed satisfaction with the results, highlighting improved chewing ability and confidence in his smile.

13.
14.
16.
15.

The Future of Full Arch Implant Reconstruction

As technology continues to evolve, the future of full arch implant reconstruction looks promising. Some anticipated advancements include:

• Artificial Intelligence (AI): AI may play a role in treatment planning, predicting outcomes and enhancing patient communication through simulations.

• Regenerative Medicine: Research into stem cell therapy and tissue engineering may lead to new ways to regenerate lost bone and gum tissue, further improving implant success.

• Personalized Treatment: Advances in genetic research and biomaterials may allow for more personalized approaches to implant design and placement.

Conclusion

The evolution of full arch implant reconstruction has transformed the landscape of dental rehabilitation. Thanks to technological advancements and innovative techniques, patients can now benefit from quicker, more effective treatments that restore their smiles and confidence. As the field continues to advance, the future holds exciting possibilities to enhance the effectiveness, efficiency

and overall experience of full-arch implant reconstruction. With ongoing research and development, the dream of providing every patient with a functional and aesthetically pleasing smile is becoming a reality.

Photos:

1. 1a and 1b pre-op photos

2. Pre-op CBCT

3. 3a and 3b pre-op digital impression

4. Pre-op face scan

5. Arch Tracer in place pre-surgery

6. Digital impression with Arch Tracer in place pre-surgery

17.
18.
19.
20.

7. Full thickness flap before seating the surgical guide

8. Surgical guide seated in place

9. Implant osteotomy guide seated in place

10. Guided implant placement

11. Timing of implant

12. MUA guide seated inissue place

13. Guided MUA seating

14. Scan bodies in place for photogrammetry and intra oral scan

15. Intra oral post op scan

16. MUA healing caps in place while provisional is being fabricated

17. 3D printed provisional

18. Post op radiograph with provisional in place

19. Definitive prosthesis in place occlusal view

20. Definitive prosthesis in place frontal view

Dr. Tarek Assi earned his dental degree and completed an advanced education in general dentistry residency from Nova Southeastern University College of Dental Medicine. He is a fellow of the Misch Implant Institute and a diplomate of the American Board of Oral Implantology, International Congress of Oral Implantologists, International Dental Implant

Association, a Fellow of the Academy of General Dentistry and American Academy of Implant Dentistry. Dr. Assi maintains a private practice in Coral Springs.

Dr. Assi will be presenting the course “The Evolution of Full-Arch Implant Reconstruction” on Thursday, June 25, at the 2026 Florida Dental Convention in Orlando. Learn more about his course and register beginning March 1 at floridadentalconvention.com

Dr. Assi can be reached at tarekassidmd@gmail.com

References Available Upon Request

March 11 | Dr. Joc Jernigan

Advanced Full Arch Treatment Planning Concepts to Fulfill Patients’ Needs

July 8 | Dr. Swati Gupta

Crown Lengthening: Why It Matters in Restorative Dentistry

November 11 | Dr. Dar Radfar

Expanding Patient Care: Saving Lives and Reducing Pain in the Modern Dental Practice

ROOTED IN DENTISTRY WEBINAR SERIES

SCHEDULE

May 13 | Dr. Robert Convissar

PhotobiomodulationThe Magic Laser That Nobody Knows About

September 9 | Erienne Blanchard

Muscle and Joint Injury After Extractions

FLORIDA DENTAL CONVENTION EXHIBIT HALL

JUNE 25-27, 2026 – GAYLORD PALMS RESORT - ORLANDO

Visiting the FDC Exhibit Hall is an invaluable opportunity for you to experience a comprehensive showcase of the latest advancements in the dental field, from cutting-edge technology to innovative treatment options. Stay up-to-date on industry trends, expand your skills, and discover products and services that can enhance patient care and the overall dental practice experience all under one roof at FDC2026. Support the companies that support the Florida Dental Convention!

A-C

3D-DENTISTS

A1 HANDPIECE SPECIALISTS

A2Z IMAGING

ABYDE

ACTEON NORTH AMERICA

ADIT

ADS DENTAL SYSTEM INC.

AIR TECHNIQUES INC.

ALIGN TECHNOLOGY INC.

ALLTION/VEREX

ALPHAEON CREDIT

ALWAYS NYE

AMERICAN DENTAL INSTITUTE

ANDAU MEDICAL

AR INSTRUMED USA LLC

ARCHY

ARTCRAFT DENTAL INC.

ASEPTICO

ATLANTA DENTAL SUPPLY

AUGMA BIOMATERIALS

AUTOREMIND

BALLARD GLOBAL

BANK OF AMERICA PRACTICE SOLUTIONS

BAUSCH ARTICULATING PAPERS INC.

BENCO DENTAL

BEST CARD LLC

BEST INSTRUMENTS USA

BIOGAIA PROBIOTICS

BIOHORIZONS

BISCO

BMO BANK

BONADENT DENTAL LABORATORIES

BQ ERGONOMICS LLC

BRASSELER USA

BRITE MEDICAL INDUSTRY

CAD-RAY

CARECREDIT

CARESTREAM DENTAL

CARR

CENTURION HEALTH

CITY NATIONAL BANK

CLIX THERAPY

CLOUD DENTISTRY

COASTAL PROFESSIONAL CONTRACTING INC.

COLGATE

COLTENE/SCICAN

CORE SCIENTIFIC

CREST + ORAL-B

CROWN TENANT ADVISORS

CS & PRECIOUS METALS PROTECTION AGENCY

CULTURE DENTAL ADVISORS

CUTCO

D-F

DANDY

DDS MATCH FLORIDA

DENTAL BUYING POWER

DENTAL DEALER SOLUTIONS

DENTAL EQUIPMENT LIQUIDATORS INC.

DENTAL HERB COMPANY

DENTAL INTELLIGENCE

DENTAL PITCH BROKERAGE

DENTALCORP

DENTALEZ-DSX

DENTALREE.COM INTERNATIONAL INC.

DENTAQUEST

DENTIUM USA

DENTOW DENTAL LLC

DESIGNS FOR VISION INC.

DEXIS

DH METHODS OF EDUCATION INC.

DIGITAL DOC

DIGITAL FLOSS AGENCY

DIGITAL HEALTHCARE PROFESSIONALS

DOCTOR MULTIMEDIA

DOCTOR'S CHOICE PRACTICE TRANSITIONS

DOCTORSINTERNET

DORAL REFINING CORPORATION

DR. JEN ORAL CARE

DR. MARKETING

DREVE AMERICA

DYNA INTERNATIONAL

EASSIST DENTAL SOLUTIONS

EKOS DENTAL GROUP

ELEVATE ORAL CARE

ELITE PAYMENT GROUP

EMS DENTAL

ENERGIZE GROUP

EQUITABLE - ADA MEMBERS RETIREMENT PROGRAM

ESTHETIC PROFESSIONALS

FLORIDA DENTAL ASSOCIATION (FDA)

FDA FOUNDATION

FDAPAC

FDA SERVICES INC.

FFS CONSULTANTS

FLAUS ELECTRIC FLOSSER

FLORIDA COMBINED LIFE

FLORIDA MEDICAL ADVISORS

FLORIDA PROBE CORP.

FOTONA

FOUR QUADRANTS ADVISORY

G-K

GARFIELD REFINING COMPANY

GARRISON DENTAL SOLUTIONS

GC AMERICA INC.

GLIDEWELL DENTAL

GREATER NEW YORK DENTAL MEETING

HALEON

HALYARD

HASNI SURGICAL TRADING

HAWAIIAN MOON

HEARTLAND DENTAL

HENRY SCHEIN DENTAL PRACTICE TRANSITIONS

HENRY SCHEIN ONE HUFRIEDYGROUP

HUMANA

HUNTINGTON PRACTICE FINANCE

HUNZA DENTAL

IDEAL STEEL

IMPLADENT LTD

IMPLANT EDUCATORS ACADEMY

IMPLANT SEMINARS

IOTECH INTERNATIONAL

ITXPROS

JIM O'BRIEN ARCHITECTURE & INTERIORS

JMU DENTAL INC.

KALEIDOSCOPE SERVICES

KAVO

KENVUE

KENWOOD/WIRED FOX TECHNOLOGIES

KERR DENTAL

KETTENBACH LP

KWIKLY DENTAL STAFFING

L-Q

LEGALLY MINE

LUMADENT INC.

MANGO VOICE

MEDILOUPES

MEDIT

MEDS 2U PHARMACY: EMERGENCY

DENTAL KITS

MEGAGEN AMERICA

MEISINGER USA & CANADA

MERCHANT PREFERRED ZERO

MODERN SURGICAL CORPORATION

MONSTER DENTAL SUPPLY

NEOCIS

NEW TEETH NOW

NIEL CONSTRUCTION GROUP

NSK AMERICA

NUCHAIR

OCEANVIEW BUILDING GROUP

OLYMPUS DENTAL

OOMA INC.

ORASCOPTIC OVERJET

OWL ADVANTAGE DENTAL SOLUTIONS PEARL

PHILIPS SONICARE AND ZOOM WHITENING PHONENINJAS AI PLANMECA

POWER DENTAL GROUP

PRACTICE BY NUMBERS

PRODIA DENTAL

PROFESSIONAL SALES ASSOCIATES INC.

PROVIDE

Q-OPTICS & QUALITY ASPIRATORS

R-S

RELEAF DENTAL

REVENUEWELL

RGP DENTAL INC.

RITTER DENTAL

ROE DENTAL LABORATORY

SAFEINS MEDICAL SURGICAL ARTICLES AND REQUISITES TRADING CO LLC

SAGE DENTAL

SALVIN DENTAL SPECIALTIES INC.

SGA DENTAL PARTNERS

SHAMROCK DENTAL CO. INC.

SHATKIN F.I.R.S.T. LLC

SHOFU DENTAL CORPORATION

SHOWCASE DENTAL LABORATORY

SNAP ON OPTICS

SOLMETEX

SOLUTIONREACH

SOUTHERN DENTAL REFINING

SPARK SURGICO INTERNATIONAL

SPRINTRAY

STELLALIFE

STRAUMANN

STREAMHEALTH GROUP

STRICTLY DENTAL

SUMMIT HANDPIECE EXPRESS

SUNRISE DENTAL EQUIPMENT INC.

SURGICALLY CLEAN AIR

SURGITEL

T-Z

TATUM SURGICAL

TD BANK

THE ARGEN CORPORATION

THE DAWSON ACADEMY

THE DOCTORS COMPANY

THE TRANSITIONS GROUP LLC

THEPRACTICECONSULTANT.COM LLC

TITAN PLACEMENT GROUP LLC

TOKUYAMA DENTAL AMERICA

U.S. BANK HEALTHCARE BUSINESS BANKING

ULTRADENT PRODUCTS INC.

ULTRALIGHT OPTICS INC.

ULTRASHARP LLC.

VAKKER DENTAL INC.

VATECH AMERICA

VIDEO DENTAL CONCEPTS

VIZISITES

VOCO AMERICA INC.

WEAVE

WEO MEDIA

WORLD AI GROUP

X-NAV TECHNOLOGIES LLC

XITE REALTY LLC

YOUR IT GUYS

YOURDENT-USA

Times are subject to change

THURSDAY, JUNE 25

11 AM-6 PM

Exhibit Hall Open to Attendees

11 AM-6 PM

Merch Booth Open to Attendees

11 AM-2 PM

Lunch available to purchase

4-6 PM

Welcome Cocktail Reception

FRIDAY, JUNE 26

9 AM-6 PM

Exhibit Hall Open to Attendees

9 AM-6 PM

Merch Booth Open to Attendees

11 AM-2 PM

Lunch available to purchase

SATURDAY, JUNE 27

9 AM-2 PM

Exhibit Hall Open to Attendees

9 AM-2 PM

Merch Booth Open to Attendees

11 AM-2 PM

Lunch available to purchase

EXHIBITORS IN GREEN ARE FDAS CROWN SAVINGS PARTNERS.

Diagnostic Quiz

a peripheral nucleus, giving a "signet-ring" appearance. Overall, the epidermis was hyperplastic, with a central umbilicated crater and distinctive inclusion bodies.

Question:

What is the most likely diagnosis based on the clinical history and clinical picture?

A.) Verruca vulgaris

B.) Seborrheic keratosis

C.) Melanocytic nevus

D.) Condyloma acuminatum

E.) Molluscum contagiosum

A 50-year-old female was referred by Dr. Harold R. Arthur, a general dentist in Live Oak, for evaluation of multiple upper-lip lesions. Clinical examination revealed a 3.0 × 3.0 × 2.0 mm dome-shaped papule on the right paramedian vermilion of the upper lip. (see clinical image) The lesion was smooth, skin-colored, with a finely papillary surface. Two additional, similar papules measuring approximately 1.0 × 1.0 × 0.5 mm were present nearby on the upper lip. The lesions had been present for more than six months and were completely asymptomatic. The patient had no significant medical history recorded. An excisional biopsy of the larger lesion was performed and submitted to the Oral & Maxillofacial Pathology Biopsy Service at the University of Florida in Gainesville. Histologically, numerous characteristic inclusion bodies were noted in the keratinocytes of the epidermis. (see Figs. 1 and 2) These enlarged cells displayed t

Fig 1. Clinical photograph showing a 3-mm dome-shaped, skin-colored papule on the right paramedian vermilion of the upper lip.

Fig. 2. Histopathologic section demonstrating lobules of hyperplastic stratified squamous epithelium forming a cup-shaped invagination. The keratinocytes are distended by large intracytoplasmic eosinophilic inclusions (Henderson-Patterson bodies), diagnostic of molluscum contagiosum.

diagnostic discussion

Free Online Continuing Education (CE) for FDA Members!

FDA members can earn up to six hours of general CE by reading the Diagnostic Discussion column and taking the online quiz, available 24 hours a day, at www.floridadental.org/online-ce.

A. Verruca vulgaris

Incorrect. Verruca vulgaris is a benign epithelial proliferation caused by low-risk human papillomavirus, most commonly HPV types 2 and 4. These lesions can occur at any age, including children, and are frequently found on the lips, palate, and tongue. Clinically, verruca vulgaris presents as a white, well-circumscribed, firm, exophytic papule with a rough, papillary or textured surface. The verruca is usually white due to thick surface keratin. Autoinoculation from a cutaneous wart is a common route of spread. In contrast to the present case, verruca vulgaris typically has a verrucous or cauliflower-like surface, not a smooth dome-shaped contour and does not show the central umbilication seen here. Histologically, verruca vulgaris demonstrates papillomatous finger-like projections of epithelium covered by thickened keratin, acanthosis, elongated rete ridges and occasional virally affected koilocytic cells in the superficial epithelium. Diagnosis of verruca is usually clinical and supported by histopathology, with HPV testing rarely needed. Treatment generally involves simple removal, such as excision or cryotherapy, although spontaneous regression may occur, especially in younger individuals.

B. Seborrheic keratosis

Incorrect. Seborrheic keratosis is a very common benign lesion that develops from superficial keratinocytes, typically appearing in middle-aged and older individuals. These growths most often occur on sun-exposed areas of the skin, especially the face, scalp and trunk. Clinically, they present as well-defined, slow-growing papules or plaques with a smooth, waxy, or slightly roughened surface, often described as having a “stuck-on” look. Their color can range from light tan to dark brown or almost black. Although these lesions can be numerous and vary in size, they do not occur on mucosal surfaces, making seborrheic keratosis an unlikely explanation for a small papule on the vermilion border. In contrast to the present

case, seborrheic keratoses usually have a broader, flatter, sessile appearance and often show visible surface keratin rather than the smooth, dome-shaped contour noted here. Diagnosis is generally based on clinical examination or dermoscopy, though biopsy may be performed if the lesion becomes irritated or shows unexpected changes. Histologically, seborrheic keratosis demonstrates a benign proliferation of basaloid cells with surface thickening and small keratin-filled cysts, none of which were present in this biopsy. Treatment is optional and typically requested for cosmetic reasons or if the lesion is symptomatic, with cryotherapy, gentle curettage, or simple excision being effective approaches.

C. Melanocytic nevus

Incorrect. Perioral melanocytic nevi are common benign proliferations of melanocytes and are usually acquired rather than congenital. They most often appear in young to middle-aged adults. Intraoral nevi are rare and are mainly seen on the hard palate, although lesions may also develop on the buccal mucosa, gingiva or lip vermilion. Clinically, they may present as flat or slightly raised brown, blue-gray, black or occasionally nonpigmented lesions, depending on the nevus subtype. Intramucosal nevi tend to form small, smooth-surfaced papules or nodules, while blue nevi and junctional nevi generally appear as macules. In comparison with the current case, melanocytic nevi usually demonstrate persistent pigmentation or a clearly defined macular or papular contour rather than a skin-colored, dome-shaped papule with central pallor and papillary contour. Microscopically, these lesions are composed of nests of benign melanocytes arranged within the epithelium, connective tissue or both, depending on the subtype; downward maturation and symmetry support their benign nature. Because oral melanocytic nevi are typically stable and slow-growing, diagnosis is often based on clinical coloration and location, with biopsy performed when features are unusual

or pigmentation is absent. No inclusion bodies or lobular epithelial invaginations are noted. Management consists of simple excision, which is curative, and routine re-excision is not required if margins are conservative.

D. Condyloma acuminatum

Incorrect. Condyloma acuminatum, also known as a genital wart, is a benign epithelial proliferation caused by low-risk human papillomavirus (HPV), most commonly types six and 11. These are typically transmitted through sexual contact or autoinoculation. Condyloma appears as multiple, exophytic, papillary or cauliflower-like epidermal or epithelial growths. These commonly affect the anogenital region, but oral lesions can occur, especially on the lips, tongue and soft palate. The lesions are usually pink to white and may coalesce into larger masses. Condyloma are typically asymptomatic. Microscopically, a papillary blunt-ended epithelial hyperplasia with acanthosis and parakeratosis is noted. Frequently, virally affected koilocytes (keratinocytes with perinuclear clearing and nuclear irregularities) are characteristic. No viral inclusion bodies are noted. Treatment for condyloma typically is surgical excision, laser ablation, cryotherapy or topical agents (e.g., podophyllin, imiquimod). Recurrence is common due to persistent HPV infection and HPV vaccination can help prevent infection.

E. Molluscum contagiosum

Correct. Molluscum contagiosum is a self-limited viral infection caused by a poxvirus, most often the MCV1 subtype, and primarily affects young children, though adults — especially those who are immunocompromised — may develop more extensive disease. Transmission occurs through close skin-to-skin contact or contaminated objects, and infection begins when the virus enters through small breaks in the skin or mucosa. The classic clinical appearance is that of small, firm, dome-shaped papules with a central depression that may express a soft, yellow-white material. Lesions usually occur on the trunk, extremities or face in children, while adults may develop them on the lower abdomen or genital region. Oral involvement is uncommon and typically limited to the perioral skin. In contrast to the present case, most patients have numerous papules, often more than a dozen, rather than one or two lesions as noted here. However, the most distinctive umbilicated center of molluscum contagiosum strongly aligns with the current clinical

findings. Histologically, molluscum contagiosum forms an endophytic epithelial proliferation containing large eosinophilic inclusion bodies — Henderson-Paterson bodies — within keratinocytes, which push the nucleus to the cell margin and create a characteristic signet-ring appearance not seen in other papular lesions of the lip (see image). Diagnosis is primarily clinical but may be confirmed by biopsy when the presentation is limited or atypical. In healthy individuals, the condition usually resolves on its own over several months. When treatment is desired, options include curettage, cryotherapy, or topical medications such as isotretinoin or imiquimod, which aim to induce the removal of infected cells and stimulate the local immune response.

References Available Upon Request

Diagnostic Discussion is contributed by University of Florida College of Dentistry professors, Drs. Nadim Islam and Indraneel Bhattacharyya and who provide insight and feedback on common, important new and challenging oral diseases.

The dental professors operate a large, multi-state biopsy service. The column’s case studies originate from the more than 16,000 specimens the service receives annually from all over the United States.

Clinicians are invited to submit cases from their practices. Cases may be used in the “Diagnostic Discussion,” with credit given to the submitter.

Conflict of Interest Disclosure: None reported for Drs. Islam and Bhattacharyya.

*Resident in Oral & Maxillofacial Pathology

Drs. Islam and Bhattacharyya can be reached at oralpath@dental.ufl.edu.

The Florida Dental Association is an American Dental Association (ADA) CERP Recognized Provider. ADA CERP is a service of the ADA to assist dental professionals in identifying quality providers of continuing dental education. ADA CERP does not approve or endorse individual courses or instructors, nor does it imply acceptance of credit hours by boards of dentistry. Concerns or complaints about a continuing education provider may be directed to the provider or to ADA CERP at ada.org/goto/cerp

Dr. Bhattacharyya
Dr. Islam

career center

FDA’s Career Center

The FDA’s online Career Center allows you to conveniently browse, place, modify and pay for your ads online, 24 hours a day. Our intent is to provide our advertisers with increased flexibility and enhanced options to personalize and draw attention to your online classified ads!

Lead Dental Assistant/Clinical Team Coordinator – Clermont. Restoration Dental is looking for a Lead Dental Assistant/Clinical Team Coordinator. We are not your typical dental office. We are a high-performance surgical and cosmetic dental team using Yomi robotic-guided implant surgery; 3D printing & inhouse digital workflows; advanced implant planning & execution; cutting-edge cosmetics; full-arch solutions and digital dentistry. We redefine dentistry by setting a new standard of care – where cutting-edge innovation, exceptional service, and heartfelt human connection create life-changing experiences for every patient we serve. Restoration Dental wants to serve and give their very best to restore smiles and transform lives. Restoration Dental is seeking an individual to guide, support, and elevate their dental assistant team. This is a leadership-driven role perfect for someone who thrives under pressure, communicates exceptionally well and wants long-term career growth in a high-performance environment. This individual will coach the dental assistants; address underperformance with clarity and empathy; strengthen culture, morale and team energy and build relationships and support individual motivation. The individual will also oversee room assignments, flow, and priorities; anticipate doctor’s needs and keep schedules efficient. Other responsibilities include supporting other departments when needed, stocking, organizing, sterilizing and handling projects. Doctors will rely on this person for solutions. We are looking for a natural leader with high emotional intelligence, high energy, thinks strategically, executes improvements, is calm under pressure, solution-oriented, a strong communicator, confident coaching others, dependable and growth-focused. This individual must have 3+ years’ dental assisting experience and preferably have lead/trainer experience. Strong communication, multitasking skills and being comfortable in a high-tech, surgical environment is a must. Restoration Dental is heavily invested in their team because we want people who are growing, energized, and fulfilled in their careers. We offer competitive pay & bonus opportunities tied to performance, leadership and practice growth. Please include a short message of why you would like the position as well as your resume. Salary: $22.00 - $24.00 Per Hour. Education: Certification. Experience: 2 - 5 years. Visit careers. floridadental.org/job/lead-dental-assistant-clinical-teamclermont-florida-0302

Greater

Daytona Beach, FL

Dental Practice for Sale

– Daytona Beach. Located along Florida’s Atlantic Coast, the Daytona Beach area offers an attractive mix of coastal living, steady population growth, and convenient access to Central Florida’s major metro amenities. Known for its beaches, outdoor lifestyle, and year-round appeal, this market supports a strong dental demand while maintaining a relaxed, community-oriented feel. This well-established general dental practice has been a trusted provider in the community for more than thirty years. The office features over ten operatories and is designed to support multiple providers, creating flexibility for an incoming owner to grow clinically or add associates. The real estate is available at the time of sale, offering long-term stability and investment potential. The practice serves approximately 6,000 active patients and attracts an average of 65 new patients per month, driven largely by word-of-mouth referrals and a strong local reputation. Currently open just four days per week, the schedule presents clear opportunity to expand hours, add services, or increase provider coverage. With over $3 million in annual revenue, this Daytona Beach, Florida dental practice represents a compelling opportunity for a buyer seeking scale, stability, and continued growth in a desirable coastal market. Central Florida practice highlights: 10+ operatories, Real estate available, 65 new patients per month, Multiple providers, $3 million in revenue. Daytona Beach offers an appealing coastal lifestyle paired with strong economic and population growth. Known for its wide beaches, outdoor recreation, and year-round sunshine, the area attracts both permanent residents and seasonal visitors. Convenient access to Orlando and other Central Florida metros supports a steady healthcare demand while preserving a relaxed, community-oriented feel. With affordable living, a growing workforce, and a robust tourism economy, Daytona Beach remains an attractive and stable market for practice ownership. Interested in learning more about this Central Florida dental practice? Contact Professional Transition Strategies – email Bailey Jones: bailey@professionaltransition.com or call: 719.694.8320. Reference #FL10725. We look forward to speaking with you! Visit careers.floridadental.org/job/greater-daytona-beach-fldental-daytona-beach-florida-0301

Visit the FDA’s Career Center at careers.floridadental.org. Post an ad on the FDA Career Center and it will be published in our journal, Today’s FDA, at no additional cost. Today’s FDA is bimonthly, therefore, the basic text of all active ads will be extracted from the Career Center on roughly the 5th of every other month (e.g., Jan. 5 for the Jan/Feb issue, March 5 for the March/April issue. etc.). Please note: Ads for the Nov/Dec issue must be placed no later than Nov. 1. We reserve the right to edit excessively long entries.

Ft Lauderdale Dental + Specialty office-For Sale or Lease. Ft Lauderdale Dental and Orthodontic Space- For Sale or lease. 2 spaces for lease in Multi tenant Property. #1 Fully built out 5 chair dental office for sale or lease in prime location in downtown Ft Lauderdale. #2 Ortho/Pedo 5 chair + 1 TC room office for sale or lease. Move in ready-start seeing patients immediately. Prime Ft Lauderdale location-minutes to Las Olas. Don't miss out on this opportunity! Call/Text Dr Ferrer-954-410-0489. drferrer@westsideorthopedo.com. Visit careers.floridadental.org/job/ftlauderdale-dental-specialty-fort-lauderdale-florida-0300.

Associate Dentist Needed – Private Practice –Tallahassee. Well-established, single-location private family dental practice in Tallahassee, Florida, seeking a full-time Associate Dentist to join our team. Our practice has proudly served the community for over 30 years and continues to grow. Owned by two experienced dentists, we offer a collaborative environment with strong mentorship, a loyal patient base, and a supportive, long-tenured team. Our modern, beautifully designed facility is equipped with high-quality, cutting-edge technology, allowing you to practice dentistry at a high clinical standard. This is an excellent opportunity for a dentist seeking long-term growth in a respected private practice in the Florida Panhandle. Practice Highlights: Established private practice (30+ years), Single location with strong community, presence, Modern facility with advanced technology, Supportive team and mentoring from owners, Full-time associate position. Interested candidates are encouraged to reach out to learn more. Visit careers.floridadental.org/job/associate-dentist-neededtallahassee-florida-0299

Newly Renovated Dental Office Space for Rent

in Brickell and Weston, Florida. Rent space in one of our beautiful renovated 1,500–2,500 sq. ft. dental office suites located within an established orthodontic practice in two of South Florida’s most desirable locations — Brickell (Miami) and Weston. These turnkey spaces are fully equipped and move-in ready, newly renovated, offering a rare opportunity for an experienced dentist to establish or expand an independent practice in high-traffic areas

with ideal patient demographics. Highlights: Modern, fully equipped operatories with sterilization and utilities included, Flexible rental options — full-time or part-time availability, Ideal for general dentists or specialists seeking low-overhead independence, Beautifully designed, turnkey environment ready for immediate occupancy. Don’t miss this rare opportunity to launch or grow your own practice in one or both of our premier South Florida locations. Interested in touring the space or requesting details? Contact us today at southfloridadrpartners@gmail.com. Visit careers.floridadental.org/job/ newly-renovated-dental-office-space-brickell-and-westonflorida-0298.

our journal advertisers support

FDAS: Abyde

Advertising Information

For display advertising information, contact: Deirdre Rhodes at drhodes@floridadental.org or 800.877.9922, Ext. 7108.

For Career Center advertising information, contact: Jill Runyan at jrunyan@floridadental.org or 800.877.9922, Ext. 7113.

Publishing Information

Today’s FDA (ISSN 1048-5317/USPS 004-666) is published bimonthly by the Florida Dental Association (FDA), 545 John Knox Road, Ste. 200, Tallahassee, FL 32303. FDA membership dues include a complimentary subscription to Today’s FDA. Nonmember subscriptions are $150 per year; foreign, $188. Periodical postage paid at Tallahassee, FL and additional entry offices. Copyright 2026 Florida Dental Association. All rights reserved. Today’s FDA is a refereed publication. POSTMASTER: Please send form 3579 for returns and changes of address to Today’s FDA, 545 John Knox Road, Ste. 200, Tallahassee, FL 32303.

Editorial and Advertising Policies

Editorial and advertising copy are carefully reviewed, but publication in this journal does not necessarily imply that the FDA endorses any products or services that are advertised, unless the advertisement specifically says so. Similarly, views and conclusions expressed in editorials, commentaries and/or news columns or articles that are published in the journal are those of the authors and not necessarily those of the editors, staff, officials, Board of Trustees or members of the FDA.

Editorial Contact Information

All Today’s FDA editorial correspondence should be sent to Dr. Hugh Wunderlich, Today’s FDA Editor, Florida Dental Association, 545 John Knox Road, Ste. 200, Tallahassee, FL 32303. FDA office numbers: 800.877.9922, 850.681.3629; fax: 850.561.0504; email address: fda@floridadental.org; website address: floridadental.org

Is your medical liability insurer invested in shareholder interests, or

INVESTED IN YOU?

Why choose a medical liability insurer that rewards investors versus rewarding you?

At The Doctors Company we answer only to physicians like you. Not Wall Street.

That’s why we’ve delivered $485 million in dividends to our members. And it’s why our unrivaled Tribute® Plan has awarded over $175 million to doctors who have spent their careers advancing the practice of good medicine.

Abseits der Zahnspitze

As part of the Florida Dental Association’s (FDA) New Years’ resolutions and Strategic Plan, the FDA Board of Trustees (BOT) met to prioritize new and ongoing projects that are influenced by the FDA.

All the current projects were listed and “blue-skyed” a value for relevance and importance. These 92 projects get ‘cartooned’ on giant post-it pages and are plastered on the plenary session panels for perusal.

The obvious and immediate conclusion is that a limited FDA staff cannot efficiently serve a limitless list of projects. In the coming months, each council and department will be asked to take a hard look at the projects of their direct control and apply them to the Strategic Plan.

To this end, I recently met with the communications staff and the Editorial Advisory Committee to set this year’s editorial calendar and propose a new concept so our publications can be more efficient and cost-effective.

The concept for this, I must admit, came to me in an unauthored e-mail some years ago and perhaps was partially inspired by the legendary “Muhlenberg Congressional Vote of 1795.”

It has to do with English as the official language of publications in the United States. The urban myth is that the vote to favor English passed by a single vote when one contrarian was in the loo. You might think we should adopt more Spanish in our publications, but I seem to mix up the words muerte and muerde. The meanings are quite different. So, I suggested to the FDA staff much as a group of Virginian congressmen proposed more than 200 years ago to Congress, that we adopt GERMAN as the official language of publications in the FDA.

Realizing that our BOT is more conservative than 18th Century Congress, I will propose a five-year phase-in plan for the new “Germanglish.”

(It helps at this point if you can mentally project a German accent)

In the first year, “s” will replace the soft “c.” Sertainly, this choise will make some sitizens selebrate.

The hard “c” will be dropped in favor of “k.” This should klear up some syniks and kounsil konfusion, and keyboards kan have one less letter.

There will be growing publik enthusiasm in the sekond year when the troublesome “ph” will be replaced with “f.” This new filosofy will make some frases with words like fotograf and fosforus seem less foney.

In the third fase, publik akseptanse of the new spelling kan be expekted to reach the stage where more komplikated changes are a sinch.

The FDA will enkourage the removal of double leters, which have always ben a deterent to akurate speling.

Also, al wil agre that the horibl mes of the silent “e” and “a” in the languag is disgrasful and it should seas.

By the fourth yer, peopl wil be reseptiv to steps such as replasing “th” with “z” and “w” with “v.”

During ze fifz yer, ze unesesary “o” kan be dropd from vords kontaining “ou” and after ze fifz yer, ve vil hav a reil sensibl riten styl.

Zer vil be no mor trubl or difikultis and evrivun vil find it ezi tu understand ech oza. Ze drem of konsiz publikashuns vil finali kum tru.

Und efter ze fifz yer, ve vil al be speking German like ze vunted in ze forst plas.

Plez kontakt ze FDA vit yur ideaz to mak der azozeashun zer goot.

FDA Editor Dr. Hugh Wunderlich can be reached at hwunderlich@bot.floridadental.org

Turn static files into dynamic content formats.

Create a flipbook
Issuu converts static files into: digital portfolios, online yearbooks, online catalogs, digital photo albums and more. Sign up and create your flipbook.