JulyAugust 2025 Text ISSUU

Page 1


Vol. 37, NO. 4 JULY/AUGUST 2025 FDC2025 Recap Page 64 How Dental Radiography Professionals Can Help Identify Intimate Partner Violence Page 34 Empowering Dental Teams: Online Radiography Certification Offers Flexibility, Efficiency and Growth Page 31

24 Florida Board of Dentistry Meets in Jacksonville

26 New Guaranteed Issue Benefits Now Available for FDA Members

31 Empowering Dental Teams: Online Radiography Certification Offers Flexibility, Efficiency and Growth

33 Why Florida Dentists Recommend the FDA’s Radiology Certification Program

34 How Dental Radiography Professionals Can Help Identify Intimate Partner Violence

38 Dental MRI Is Here to Stay: University of Minnesota Debuts First U.S. Dental-dedicated MRI Center

42 Pterygoid Implant-retained Bridge Following Multiple Failed Alveolar Implants in Posterior Maxilla

54 The Open Apex Challenge: A Case Series

64 FDC2025 Recap

68 Donated Dental Services Volunteer Provides Hope for Tampa Women with Kidney Disease

78 Advertising

Off the Cusp

Cover photo: Abbey Montes, a team member of Dr. Fred Grassin, completes the FDA Radiography Certification Course.

EDITOR

Dr. Hugh Wunderlich, CDE Palm Harbor

BOARD OF TRUSTEES

PRESIDENT

Dr. John Paul Lakeland

SECRETARY

Dr. Bertram Hughes Gainesville

SPEAKER OF THE HOUSE

Dr. Don lIkka Leesburg

17TH DISTRICT TRUSTEE

Dr. Andy Brown Jacksonville

PRESIDENT-ELECT

Dr. Dan Gesek Jacksonville

IMMEDIATE PAST PRESIDENT

Dr. Jeffrey Ottley Milton

TREASURER

Dr. Fred Grassin Springhill

EXECUTIVE

DIRECTOR Drew Eason, CAE Tallahassee

To contact an FDA board member, use the first letter of their first name, then their last name, followed by @bot.floridadental.org. For example, to email Dr. Hugh Wunderlich, his email would be hwunderlich@bot.floridadental.org.

To call a specific staff member below, dial 850.350. followed by their extension.

EXECUTIVE OFFICE

Drew Eason • chief executive officer/executive director deason@floridadental.org Ext. 7109

Greg Gruber • chief operating officer/chief financial officer ggruber@floridadental.org Ext. 7111

Casey Stoutamire • chief legal officer cstoutamire@floridadental.org Ext. 7202

Lianne Bell • leadership affairs manager lbell@floridadental.org Ext. 7114

Lywanda Tucker • peer review coordinator ltucker@floridadental.org Ext. 7143

ACCOUNTING

Breana Giblin • director of accounting bgiblin@floridadental.org

Leona Boutwell • finance services coordinator lboutwell@floridadental.org

Mitzi Rye • fiscal services coordinator mrye@floridadental.org

7138

Dr. Tom Brown Orange Park

Dr. Sam DeSai Cape Coral TRUSTEES

Dr. Christopher Bulnes Tampa

Dr. Bethany Douglas Jacksonville

Dr. Karen Glerum Boynton Beach

Dr. Lance Karp Sarasota

Dr. Katie Miller Maitland

Dr. John Pasqual Delray Beach

Dr. Reese Harrison Lynn Haven

Dr. Eddie Martin Pensacola

Dr. Richard Mufson Miami

Dr. Joe Richardson Eustis

Kaitlinn Sendar • fiscal services coordinator ksendar@floridadental.org

COMMUNICATIONS AND PUBLICATIONS

Renee Thompson • director of communications and marketing rthompson@floridadental.org Ext. 7118

Jill Runyan • director of publications jrunyan@floridadental.org Ext. 7113

Karen Thurston-Chavez • communications and media coordinator kchavez@floridadental.org

7115

Mike Reino • graphic design coordinator mreino@floridadental.org Ext. 7112

FDA FOUNDATION

R. Jai Gillum • director of foundation affairs rjaigillum@floridadental.org

Deidra Green • foundation coordinator dgreen@floridadental.org

Madelyn Espinal • foundation assistant mespinal@floridadental.org

7122

FLORIDA

CONVENTION AND CONTINUING EDUCATION

Crissy Tallman • vice president: conventions, ce and component strategy ctallman@floridadental.org Ext. 7105

Brooke Martin • FDC marketing specialist bmartin@floridadental.org Ext. 7103

Lisa O’Donnell • FDC program coordinator lodonnell@floridadental.org Ext. 7120

Grace Pereira • FDC meeting assistant gpereira@floridadental.org Ext. 7162

Deirdre Rhodes • FDC exhibits coordinator drhodes@floridadental.org Ext. 7108

GOVERNMENTAL AFFAIRS

Joe Anne Hart • chief legislative officer jahart@floridadental.org Ext. 7205

Brandon Edmonston • lobbyist bedmonston@floridadental.org Ext. 7205

Jamie Graves • legislative affairs coordinator jgraves@floridadental.org Ext. 7203

INFORMATION SYSTEMS

Larry Darnell • director of strategic initiatives and technology ldarnell@floridadental.org Ext. 7102

Charles Vilardebo • computer support technician cvilardebo@floridadental.org Ext. 7153

MEMBER RELATIONS

Kerry Gómez-Ríos • vice president: membership and component strategy krios@floridadental.org Ext. 7121

Megan Bakan • membership coordinator mbakan@floridadental.org Ext. 7136

Cecilia Franco • membership coordinator cfranco@floridadental.org Ext. 7123

Kim Jenkins • member access coordinator kjenkins@floridadental.org Ext. 7100

Bettie Swilley • membership coordinator bswilley@floridadental.org Ext. 7110

FDA SERVICES | 545 John Knox Road, Ste. 201 • Tallahassee, FL 32303 • 800.877.7597 or 850.681.2996

Scott Ruthstrom • chief operating officer scott.ruthstrom@fdaservices.com Ext. 7146

Carrie Millar • director of insurance operations

carrie.millar@fdaservices.com Ext. 7155

Carol Gaskins • commercial accounts manager carol.gaskins@fdaservices.com Ext. 7159

Tessa Pope • customer service manager tessa.pope@fdaservices.com Ext. 7158

Marcia Dutton • membership services assistant marcia.dutton@fdaservices.com Ext. 7148

Porschie Biggins • Central FL membership commercial account advisor porschie.biggins@fdaservices.com Ext. 7149

Maria Brooks • South FL membership commercial account advisor maria.brooks@fdaservices.com Ext. 7144

Davis Perkins • Atlantic Coast membership commercial account advisor davis.perkins@fdaservices.com Ext. 7145

Danielle Basista • commercial account advisor danielle.basista@fdaservices.com Ext. 7156

Jordyn Berrian • commercial account advisor jordyn.berrian@fdaservices.com Ext. 7163

Kelly Dee • commercial account advisor kelly.dee@fdaservices.com Ext. 7157

Jamie Idol • commercial account advisor jamie.idol@fdaservices.com Ext. 7142

Maddie Lawrence • commercial account advisor maddie.lawrence@fdaservices.com Ext. 7154

Liz Rich • commercial account advisor liz.rich@fdaservices.com Ext. 7171

Karina Scoliere • commercial account advisor karina.scoliere@fdaservices.com Ext. 7151

YOUR RISK EXPERTS

Dan Zottoli, SBCS, DIF, LTCP director of sales • Atlantic Coast 561.791.7744 • cell: 561.601.5363 dan.zottoli@fdaservices.com

Dennis Head, CIC director of sales • Central Florida 877.843.0921 • cell: 407.927.5472 dennis.head@fdaservices.com

Mike Trout director of sales • North Florida cell: 904.254.8927 mike.trout@fdaservices.com

Joseph Perretti, SBCS director of sales • South Florida cell: 305.721.9196 joe.perretti@fdaservices.com

Rick D’Angelo, CIC director of sales • West Coast 813.475.6948 • cell: 813.267.2572 rick.dangelo@fdaservices.com

2026 FDA Awards

Nominate Someone Today!

Award Nominations are now open.

The Florida Dental Association (FDA) Awards Committee is now accepting nominations for the 2026 FDA Awards! Help us recognize outstanding individuals who go above and beyond for the profession, their communities and organized dentistry.

Recipients will be celebrated in FDA publications and social media and honored in person at the annual Awards Luncheon held in conjunction with the Florida Dental Convention in June 2026.

Submitting a nomination is quick and easy. Visit floridadental.org/nominate to get started.

Nominate a colleague, mentor, team member or student today — the deadline is Monday, Sept. 1, 2025!

I'm Back ...

Five years or a hundred years ago, I was responsible for this periodical and owned the last page. That page now rightly belongs to our editor Dr. Hugh Wunderlich. My journey led me to the ranks of leadership at the Florida Dental Association (FDA), and now I have this page and opportunity. To be honest, the real estate is not as enviable as the last page, but it’s all mine.

For about 10 years, I told funny stories where the dentist was always the hero, and maybe I described our lives to make the burdens a little

lighter. Now I get to relay the critical efforts of your organization, and I get to continue telling each of you that you are essential and that dentistry is important.

I have this page and a bully pulpit. Every time someone or a group of people lets me speak, I get to brag about all of you and the work we do. Our profession is not the weak sibling of medicine. We restore oral health, improve smiles, improve our patients’ self-esteem and confidence, prevent diseases and WE SAVE LIVES — all part of what we do every day.

As far as I know, we are the only profession that actively lobbies to decrease the amount of business we do. It’s going to be an uphill battle for

the foreseeable future, but we continue to lobby for optimal levels of fluoride in public drinking water. The public would benefit (less expense, pain and suffering), government coffers would benefit (spending pennies to save dollars) and we see less decay, but we benefit because we did our job preventing disease rather than waiting to treat it. Professionals do what is right, even when it doesn’t increase their profits.

There is a groundswell of people who are moving legislation based on fear and loathing for how other public health problems were handled in the past few years. I personally think they saw fluoride as low hanging fruit they could cut from the vine with little opposition. We showed plenty of opposition, but their Facebook fame dealt our common sense heavy blows. We won’t stop, but now is the time to pivot our message to our patients about how they can make up for what their government no longer provides. The FDA’s message will be consistent, optimally fluoridated public drinking water, proper oral hygiene at home and regular preventive evaluation and care in a dentist’s clinic. That’s the message we offered yesterday when we had fluoride and it’s the message we will give tomorrow, with emphasis on what is available to our patients.

Ladies and gentlemen, go forth, be doctors, be leaders in your communities and keep doing all the things we do right.

FDA President Dr. Paul can be reached at jpaul@bot.floridadental.org

FDA/ADA Response Helps Dentists Amid MetLife Clawbacks did you know?

Imagine this scenario: A patient comes into your office, you verify their insurance and complete the treatment. You are in-network with their insurance plan, so you file the appropriate paperwork and receive the explanation of benefits, and you balance bill the patient or write off the appropriate amount. All is well. I know that rarely happens, but stay with me. A couple of months later, you notice another patient with the same plan has money deducted from their claim, but it was for the treatment of the first patient in this scenario or, in some cases, for a patient you may not have even treated.

The scenario described above is an example of an insurer’s recovery of overpayments to providers, also known as a clawback. The Florida Dental Association (FDA) has been receiving several calls about MetLife insurance employing this practice. MetLife has always stated this is contractual language that you, the dentist, agreed to when you signed the provider agreement. Well, the FDA and the American Dental Association (ADA) were finally able to obtain this contract language, and as you might expect, the FDA and ADA disagree with MetLife and do not think this contract language allows for the practice described above.

The FDA, under the signature of its Immediate Past President Dr. Jeff Ottley, who was president at that time, sent a letter to MetLife’s chief dental office requesting a meeting to discuss this policy. The letter strongly stated that MetLife has not provided any contract language explicitly stating that recoupment of funds is allowed from a dentist who neither treated the patient nor received the original reimbursement funds for said patient and for which the recoupment is now being demanded by MetLife. We are also not aware, nor have we been provid-

The FDA heard back from MetLife in June. They stated: “Upon review of market practices, we are changing our process to only offset claim overpayments from the provider we overpaid.” This is just another example of your ADA and FDA working for you to push back on unfair dental insurance practices!

ed with, any contract provision allowing the recoupment of funds from a dentist who provided treatment to a family member of the patient (the original claim) from which the recoupment is now being claimed. Furthermore, we are unable to locate any contract language that allows recoupment of funds from one dentist who has no affiliation with another dentist who provided the treatment that resulted in the alleged overpayment.

In fact, the following language from the MetLife provider agreement is what they are relying on to contractually establish these third-party offsets: “Metropolitan or its delegates shall be permitted to obtain reimbursement for overpayments made to dentists by offsetting such monies against future payments due.” We argue this language clearly refers to overpayments made to the participating dentist who treated the patient. Furthermore, a reasonable person would interpret the reference to “future payments due” as referring only to amounts due to the participating dentist who treated the patient and was overpaid.

If you have any questions or issues with dental insurance plans, please contact me. We are here to help!

FDA Chief Legal Officer Casey Stoutamire can be reached at cstoutamire@floridadental.org

SHOULDN’T YOU BENEFIT

from your good work instead of investors?

We’re rewarding eligible Florida members with an 8% dividend. Does your malpractice liability insurer do that?

At The Doctors Company we answer only to doctors like you. Not Wall Street. That’s why we’re able to award an 8% earned dividend to our eligible Florida members this year. Altogether, we’re returning $15.1 million to doctors in 2025, which brings the total dividend payments we’ve shared with doctors to $485 million.

Florida Dentists: Are You Hurricane Ready for 2025?

As Florida Dental Association (FDA) members prepare for another hurricane season, the stakes remain high for safeguarding not only homes and families but also dental practices, patients and staff.

While many practice owners have experienced past storms and have implemented protective measures, each new hurricane season presents risks and another opportunity to revisit and strengthen your preparedness strategy.

This article serves as a timely reminder for Florida dental professionals to take a comprehensive approach to hurricane preparedness. By addressing physical property, insurance coverage, employee and patient communication and business continuity planning, practice owners can help ensure their offices are ready to weather any storm that comes their way.

Protecting Your Office and Physical Property

A dental practice contains valuable equipment, sensitive patient records and a highly specialized workspace

that can be costly to repair or replace. Taking proactive measures can minimize potential damage.

Before the Storm

• Review your office’s physical vulnerabilities. Secure windows and doors, reinforce the roof if necessary and install storm shutters where applicable.

• Elevate or relocate expensive equipment, especially digital imaging systems, compressors, vacuum systems and sterilization equipment.

• Store paper records and vital documents in waterproof, fireproof containers or scan and store them securely in the cloud.

• Back up all electronic data off-site or in cloud-based platforms that offer disaster recovery services.

• Have battery-powered lighting and essential tools readily accessible in case power is lost before evacuation.

preventive action

• Conduct a complete photographic or video inventory of your office, equipment and furnishings. This documentation can be invaluable when filing an insurance claim.

After the Storm

• Document any damages with photographs before starting any cleanup.

• Contact your insurance provider as soon as possible to initiate the claims process.

• Retain receipts for any emergency repairs, cleanup services or temporary relocation expenses.

Reviewing and Updating Insurance Coverage

Proper insurance coverage remains one of the most critical components of hurricane preparedness. As an insurance broker serving Florida dental practices, we often find that many practice owners do not review their policies regularly, leaving them exposed to avoidable risks.

Key Coverages to Review

• Property Insurance: Ensure your policy includes windstorm and hurricane coverage. Review policy limits to confirm they reflect current replacement costs.

• Flood Insurance: Standard commercial property insurance often excludes flood damage. Flood insurance is a separate policy and highly recommended in Florida, even for businesses outside designated flood zones.

• Business Interruption Insurance: This coverage helps replace lost income and cover ongoing expenses if your office is unable to operate after a storm.

• Equipment Breakdown Insurance: Protects against losses resulting from equipment failures that may occur due to power surges or water damage.

• Professional Liability Insurance: Although not directly tied to storm damage, maintaining sufficient

Are You Underinsured?

Lesson From the Last Few Hurricanes!

Practices should reevaluate their building and equipment insurance limits now, as the cost to rebuild or replace items is increasing rapidly. Dental chairs, X-ray machines and other equipment cost more today than they did a few years ago. Construction costs have also jumped, with average prices now around $250–$400 per square foot in many areas. Most business insurance pays based on replacement cost value, not what the item is worth today after wear and tear. That means your insurance needs to match today’s prices, so you're fully covered if something happens. Don’t let rising costs leave you underinsured.

malpractice coverage ensures protection if treatment disruptions lead to patient complaints.

• Employee Injury Coverage: Verify workers’ compensation coverage, especially for staff who may assist with cleanup or emergency response efforts.

Important Reminders

• Understand your policy’s deductibles for wind, hurricane and flood claims, which may differ from standard deductibles.

• Confirm whether your business interruption policy includes coverage for utility service interruptions, civil authority closures or ingress/egress restrictions.

• Review policy expiration dates to avoid lapses in coverage during peak storm season.

Employee and Patient Communication Planning

Clear and timely communication is essential before, during and after a storm for both patient care and employee safety.

Communication Best Practices

• Maintain up-to-date emergency contact lists for staff, patients, vendors and service providers.

• Create and distribute a written hurricane preparedness plan to your staff, outlining office closure protocols, evacuation procedures and communication channels.

• Post updates on your practice website, voicemail system and social media channels to keep patients informed of office closures or rescheduling procedures.

• Set expectations for rescheduling missed appointments and prioritizing urgent patient needs once operations resume.

Business Continuity and Disaster Recovery

Beyond physical preparation, dental practices should develop a comprehensive continuity plan to minimize disruption and restore operations quickly.

Continuity Planning Steps

• Identify alternative office locations or partnerships with nearby dental practices to provide emergency care in the event your office is unusable.

• Establish agreements with suppliers to ensure timely delivery of essential supplies once your office reopens.

• Review cybersecurity protocols to protect patient data during system outages or while working remotely.

• Conduct regular drills with your staff to practice your emergency response plan and identify potential weaknesses.

A Timely Reminder to Act Now

While no one can predict the full impact of the 2025 hurricane season, proactive preparation can significantly reduce the financial, operational and emotional toll of a storm. Investing time now to review your hurricane readiness plan, update your insurance coverage and strengthen your continuity strategies will pay dividends when the skies darken.

As your dental insurance partner, we are here to help you navigate the complex insurance landscape and ensure your practice is properly protected. Contact Florida Dental Association Services (FDAS) by calling 850.681.2996 or visit fdaservices.com to schedule a policy review. Visit our comprehensive Hurricane Preparedness Guide by scanning the QR code below for dental practices to access checklists, planning templates and additional resources today.

Hurricane Preparedness Checklist for Florida Dental Practices

Before The Storm

Office and Property

• Inspect and secure windows, doors and roof.

• Install or check storm shutters.

• Move valuable equipment (imaging systems, compressors, vacuums, sterilizers) away from windows and off the floor.

• Store important paper records in waterproof, fireproof containers.

• Backup all electronic data off-site or to a secure cloud platform.

• Take updated photos/videos of office space, equipment and furnishings for insurance purposes.

• Ensure generators, flashlights, batteries and emergency tools are functional and accessible.

Insurance

Review

• Confirm property insurance includes windstorm and hurricane coverage.

• Review or purchase flood insurance, even if not in a flood zone.

• Confirm coverage for business interruption and extra expense.

• Review equipment breakdown and professional liability policies.

• Verify workers’ compensation and employee injury coverage.

• Understand policy deductibles and coverage limits.

Employee and Patient Communication

• Update staff emergency contact information.

• Create and distribute an office hurricane policy and closure plan.

• Prepare email templates and phone messages for patient communications.

• Set up social media updates and website alerts for closures and reopening schedules.

Continuity and Recovery Planning

• Identify alternate treatment locations if your office is unusable.

• Establish supplier and vendor recovery plans.

• Test data recovery and cybersecurity protections.

• Conduct emergency drills with staff.

After The Storm

• Ensure personal safety before returning to the office.

• Document all damages with photos before cleanup begins.

• Retain receipts for emergency repairs and cleanup.

• Contact your insurance provider to initiate claim processing.

• Communicate reopening plans with staff and patients.

• Review lessons learned to improve future preparedness.

Need Help Reviewing Your Insurance Coverage?

Contact FDAS by calling 850.681.2996 today to schedule your policy review and visit our full Hurricane Preparedness Guide by scanning the QR code to the right for more planning resources.

The Peer Review program is designed to help Florida Dental Association member dentists.

Avoid costly legal fees, malpractice suits and Board of Dentistry complaints by using this free service exclusively for members.

Learn more online at FloridaDental.org/PeerReview or by contacting FDA Peer Review Coordinator Lywanda Tucker at 850.350.7143 or ltucker@floridadental.org

FLORIDA DENTAL CHATTER

This Facebook group is designed for dentists to interact with other members, receive the latest updates and information, and engage with FDA leaders and sta . This is the place to be in the know! Join us at facebook.com/groups/floridadentalchatter.

dental benefits spotlight

Examining the Examination

Navigating the examination code has become a new frontier in dental insurance billing. Many companies are limiting the comprehensive exam (D0150) to once every three years or placing the benefit under basic or major services. The latter designation subjects the dental exam to the insurance deductible, thus limiting the financial exposure to the insurance carrier. In these cases, the limited exam (D0140) and the periodic exam (D0120) are often in the preventive section and covered at 100%. A comprehensive periodontal exam (D0180) has the same benefit parameters and limitations as D0150.

When accepting a new patient for intake, it is important to “code for what you do, and do what you code for.” While we all sympathize with the patient not being able to utilize their benefit for the initial examination, we must remain steadfast in coding appropriately. This is a great opportunity to have a conversation about their insurance benefits and how they are helping or not helping them

When accepting a new patient for intake, it is important to “code for what you do, and do what you code for.”

from a “care” perspective. If the patient is new to your office, then you should code D0150. If the patient has not been seen recently by you but is an established patient, the D0120 or D0150 will apply, depending on the timeframe of the last examination visit. D0180 applies to periodontal patients and is often denied due to its frequency. The dental association recognizes the need for meaningful insurance reform, including comprehensive coverage for preventive services.

FDA Secretary and representative to the American Dental Association Council on Dental Benefits Program

Dr. Bert Hughes can be reached at berthughes@me.com

Beyond the Snapshot:

Elevating Patient Care Through Diagnostic and Advanced Dental Imaging

A dentist’s responsibility to deliver comprehensive, patient-centered care begins long before the bur ever spins. One of the most foundational yet often undervalued tools in our clinical arsenal is radiographic imaging. With increasing pressures from insurance-driven protocols and time constraints in busy practices, there is a growing risk of reducing radiography to a checkbox — some-

thing we do because it’s routine. However, quality imaging is not routine — it is intentional, diagnostic and one of the most powerful tools we have to deliver exceptional care, especially in today’s modern dental era. There are numerous tools at our fingertips in the form of programs, software and artificial intelligence that we can utilize to enhance patient-centered care. Hopefully, my words in this article will encourage even more intentionality across the profession than ever before.

As a dentist who recently transitioned from associate to owner, my perspective regarding imaging has sharpened. Radiography is no longer just a diagnostic tool — it is a practice builder, a patient-education tool and a professional differentiator. Our ability to identify what’s abnormal and, more importantly, to recognize what should be present but isn’t, defines the level of care we provide. When imaging is done well, it gives us the clearest window into the unseen. High-quality diagnostic imaging enables us to assess subtle changes in bone density, early periapical pathology and patterns in surrounding soft tissue that may have been missed otherwise. The ability to compare current findings against well-documented baselines enables us to detect the progression or resolution of conditions over time.

Beyond periapicals and bitewings, advanced imaging — such as Cone Beam Computed Tomography — opens the door to more precise treatment planning in endodontics, implantology and airway assessment. With it, we don’t just identify abnormalities — we anticipate needs and can take preventive action. This level of clarity enables us to refer patients to the appropriate specialists with precision, thereby setting them up for success in the next phase of care. Quality imaging speaks to quality referrals.

Rapport-building and Patient Trust

Patients may not always understand the language of dentistry but they do understand clarity — and trust

what they can see. Showing a patient a crisp, well-positioned image and explaining findings in real time deepens rapport. It also reinforces transparency, builds credibility and increases case acceptance and their perception of our profession.

Conversely, blurred or poorly angled films not only compromise diagnostic value but also decrease patient confidence. When patients see that we take the time to take precise, high-quality images, they’re more likely to engage in their own care, follow treatment recommendations and return for follow-ups.

Navigating the Insurance Landscape Without Compromise

There’s a common pattern I’ve noticed in clinical settings: taking images “just because it’s time” or “because the insurance will cover them,” rather than for a clinical purpose. This rote approach can undermine the integrity of imaging. There is a catch-22, though, particularly for early career dentists still navigating new terrain — you don’t want to miss a lesion, especially if your eyes have only examined images in academic settings with attending faculty.

One of the most disheartening challenges in practice is watching insurance companies dictate what is “necessary” when it comes to imaging. Coverage limitations, reimbursement policies and preauthorization tactics have made it difficult for some practices to justify basic imaging, let alone advanced imaging, even when clinically indicated.

The future of dentistry is not just in the treatment we deliver but in the vision we create — one high-quality image at a time.

But let’s be clear: insurance does not determine diagnosis. It is our responsibility as clinicians to resist allowing dental benefit plans to define what is best for the patient. Our decisions must be driven by clinical need, not reimbursement protocols. We must reframe radiography as a deliberate diagnostic act, reminding ourselves to ask and answer these questions: Will this image allow me to make an informed clinical decision? Will it reveal a condition I might otherwise miss? Am I putting my best effort into capturing something diagnostic, not just compliant? Diagnostic imaging requires more than pressing a button — again, it requires training, accuracy and a commitment to excellence.

Patients, too, must be educated. When we explain that imaging is being taken to establish a baseline, track progression or guide precise surgical planning, they become allies in advocating for their care, regardless of whether insurance “covers” it. We cannot allow third parties to compromise our standards or ethics.

As a new practice owner, I’ve come to appreciate that the standards we set around imaging shape everything — from treatment planning to team training to community reputation and perception. High-quality diagnostic imaging is not solely a clinical

decision — it is also a business decision. It impacts risk management, legal protection, case acceptance and ultimately, patient outcomes.

With this new position, my goal is to create systems that train my team to prioritize quality radiographs every time. We must invest in tools that provide us with the clearest images, resisting the pressure to default to “what’s covered” rather than what’s needed.

Capture Your Images With Intention

Every year, in practice, I embrace the fact that we come alongside our patients and help them steward their health. Every image we take — or fail to take — represents an opportunity to diagnose, educate and elevate. Let us not allow the essential act of radiography to become a mere habit. Instead, let’s recommit to imaging with purpose, clarity and excellence.

The future of dentistry is not just in the treatment we deliver but in the vision we create — one high-quality image at a time.

Dr. ArNelle Wright is an FDA 17th District Alternate Delegate to the ADA and serves as chair of the FDA New Dentist Task Force. She can be reached at arnellewrightdmd@gmail.com.

FDAmembersget 10%discount onIgniteDDS services!

The Five Pitfalls Most Dentists Face When Selling Their Practice and How to Avoid Them

Think about every minute of time and energy you’ve invested in your patients, team and practice. Selling your practice is your final opportunity to ensure your patients, team, practice and family are well cared for. Friends, read that again — this is your last bite at the apple. You get one chance to do it better than most.

Our goal is to show you where most go wrong and, equally important, how to position your practice for a sale that lets you leave on your own terms.

1. They Wait too Long

You and I often underestimate the time it takes to find our dream buyer. We also tend to assume everything will work itself out. In other words, we often overlook the risks — and that can leave us in a too-late place all too often.

Instead:

Start planning three to five years ahead. Use that lead time to strengthen revenue, reduce overhead, create systems and build consistent key performance indicators.

IgniteDDS can do this in 12 to 18 months when we help you — but savvy buyers want to see success over time. I’m guessing you want to reap the rewards both while you’re working and when you sell.

2. They Overvalue or Undervalue Their Practice Brokers won’t love this, but I’m here to serve you, not them. Overvalue your practice and it may feel good to see the number — but it won’t sell. Undervalue it to move quickly, and you’re putting easy money in a broker’s pocket while you miss out.

Instead:

Get an independent, credentialed valuation. We often meet people at this stage — after they hear a number that’s lower than expected. We integrate that valuation into a custom 12-month growth playbook. If we have three to five years, we can often double that value. If we have one to three years, we aim for a 30 to 34% increase.

3.

They Focus on Price Alone

Don’t get me wrong — I want you to get the most money possible. But you also want the best terms. If you rush into selling to a private dentist, they’ll either want you out immediately or expect you to stick around for free. Sell to a DSO at the last minute, and you may be locked

Dr. David Rice

in for an additional five years — often for less take-home than you make now.

Instead:

Define your “exit criteria” in advance — your price, ownership stake, location control, team retention and lease terms. Time gives you control.

4. They Sell to the First Buyer

This is especially true with dentists chasing the DSO pot of gold — which rarely pans out. That’s a story for another day. Instead, create a practice that multiple buyers want and let the bidding war begin.

Instead:

Treat your practice like a high-performing real estate investment. Cultivate multiple buyers who are motivated to bring their best offers. When done right, this becomes a seller’s market — and you can capitalize on it.

5. They Go it Alone

From pricing errors to poor documentation to legal missteps, solo sellers take on big risks. You’ve worked too

hard, for too long, to not transition to the next season of life on your own terms.

Our Coaching Solution

There’s a reason the Florida Dental Association (FDA) partnered with IgniteDDS — we’re great at what we do. But if you don’t choose IgniteDDS coaching, choose someone with the right skills to align your vision with a solid strategy.

As a fellow dentist, I want you to win. Put in the work now, and you’ll reap the rewards for life.

Looking forward to connecting.

Founder and CEO of IgniteDDS, Dr. David Rice has more than 30 years of dental practice experience, has extensive dental training, is a published writer and sought after presenter. The FDA partnered with Dr. Rice and IgniteDDS to provide coaching and practice management skills for Florida dentists looking to successfully manage their practices and improve their operations. FDA members get a 10% discount; learn more at floridadental. org/member-center/member-resources/ignitedds. Dr. Rice can be reached at david.rice@ignitedds.com.

Fraud Alert: Protect Your License

Dentistry has seen a recent surge in fraudulent emails and phone calls targeting Florida health care practitioners by impersonating the Department of Health or Division of Medical Quality Assurance (MQA). These scams leverage information about the licensure and enforcement processes to attempt to steal your personal or financial information.

If you have accidentally entered your credentials into any prompt or website that seems suspicious, or if you have been contacted by a suspicious caller or email, change your password immediately, gather the following information listed below regarding the incident, and report it by calling the MQA Customer Contact Call Center at 850.488.0595 or emailing MedicalQualityAssurance@flhealth.gov.

• a description of the scam and how you were contacted • screenshots of the phone call (with the timestamp and number) • photos of any documents or emails received (including the sender’s email or fax number) • a copy of the envelope or bank charges, if applicable.

Thank you for helping to protect the integrity of Florida’s health care workforce.

Utilize

the

FDA’s Jumpstart Program in Solving Workforce Challenges

The FDA’s Jumpstart program is an initiative to connect member dentists with pre-dental students interested in volunteering or working with dental offices. It’s a creative solution to assist in solving workforce challenges faced by Florida dentists. Jumpstart is a fast pass for students to gain real-world experience, connect with dentists and master skills that will help them stand out in the dental school application process and the competitive field of dentistry. All this while providing staffing for offices that may have difficulty hiring the right people. A true win-win!

As a result of the FDA’s efforts, members can access a student directory at floridadental.org/jumpstart. It notes students’ geographic location, interests and roles they could fill. If you are interested in engaging any of these students, please contact them directly and make suitable arrangements. If you know pre-dental students who may be interested in registering, encourage them to visit floridadental.org/jumpstart to sign up and learn more about transforming their enthusiasm into expertise.

Hurricane Season is Here!

Now is the time to make sure your office insurance is storm ready. Hurricane season kicked off June 1, and standard office insurance does not cover flooding, so be sure to purchase a separate flood policy from Florida Dental Association Services (FDAS). Coverage has gotten tougher to secure in Florida, but FDAS works with as many carriers as possible to keep your options open. Go to bit.ly/4lycpJg to review our Hurricane Guide and let FDAS help you protect your practice before the first warning cone hits. Visit FDAS at fdaservices. com to learn more or call or text 850.681.2996 to request an insurance review.

Smile Smart Campaign: Helping Floridians Make Informed Dental Choices

The FDA is thrilled to announce the launch of our latest ini tiative, the ians navigate the often-complex world of dental insurance and plan options. Understanding dental insurance can be daunting, but with the correct information, we can help patients make informed decisions and prioritize their oral health.

Smile Smart is designed to help patients navigate dental plans and alternatives to find the best plan for their specific needs. By increasing awareness of the various dental insur ance and plan options and encouraging patients to consult their FDA dentist with questions, we can help Floridians make a plan to get the care they need.

Where in the World is Today’s FDA?

Thank you, Dr. Martin J. Alpert, for taking Today's FDA to the National Museum of the History of Qatar in Doha Qatar!

Do you have vacation plans this year? On your next trip, take a copy of Today’s FDA with you, take a photo and send it to jrunyan@floridadental.org to see it featured in an upcoming issue.

Catch up on expert-led sessions from Florida Dental Conventions course recordings today! Gain valuable insights from top speakers on essential topics to stay successful in your practice.

COURSE RECORDING TOPICS INCLUDE:

Practice Transitions

Oral Pathology

Implant Therapy

Aesthetic Dentistry

Patient Communication & much more!

Welcome New FDA Members

Learn more by visiting the FDA's virtual Member Center at floridadental.org

The following dentists recently joined the Florida Dental Association (FDA). Their memberships allow them to develop a strong network of fellow professionals who understand the day-to-day triumphs and tribulations of practicing dentistry.

Atlantic District

Dental Association

Dr. Nicholas Magro, Delray Beach

Central Florida District

Dental Association

Dr. Lakhdar Bahous, New Smyrna Beach

Dr. Balaji Chandrasekar, Casselberry

Dr. Aliyyah Dewji, Lake Mary

Dr. Dongsu Kim, Ormond Beach

Dr. Ana María Quesada Gordillo, Kissimmee

Northeast District

Dental Association

Dr. Crystal Al-Eid, Fernandina Beach

Northwest District

Dental Association

Dr. Courtney Kelly, Niceville

Dr. Emily Sexton, Niceville

Dr. Adrianna Simeone, Panama City Beach

South Florida District

Dental Association

Dr. Asha Bell, Miami

Dr. Glenda Sanchez, Sunny Isles Beach

West Coast District

Dental Association

Dr. Mitchell Hanson, Bonita Springs

Dr. Kaitlyn Hynes, Naples

Dr. Miguel Ibarra, Lakeland

Dr. Alexander Pardo, Windermere

Dr. Kyle Radomski, Fort Myers

Dr. Nataliia Rotner, Sarasota

Dr. Jose Vazquez Llana, Bonita Springs

in memoriam

The FDA honors the memory and passing of the following members:

Ross Enfinger

Orlando

Died: 5/4/2025

Age: 47

Michael McIlwain

Tampa

Died: 6/6/2025

Age: 49

Dan L. Canterbury

Melbourne

Died: 6/12/2025

Age: 88

Diagnostic Discussion

BI-MONTHLY COLUMNS

FDA members can earn up to 6 hours of general continuing education (CE) by reading the Diagnostic Discussion column included in the bi-monthly Today’s FDA and taking a quick online quiz

Discussions and quizzes are available 24 hours a day at the convenience of your home or office

WEBINAR SERIES

This webinar series is your opportunity to stay informed, grow your skills and earn up to 6 CE hours at no cost.

Webinar topics include implant restoration, peri-implant disease, systemic oral health, diagnostic advancements and more!

more at www.floridadental.org/online-ce

Florida Board of Dentistry Meets in Jacksonville

The next BOD meeting is scheduled for Friday, Aug. 15, at 7:30 a.m. ET in Miami.

of Dentistry (BOD) met Friday, May 9, in Jacksonville.

The Florida Dental Association (FDA) was represented by BOD Liaison Dr. Steve Hochfelder and Chief Legal Officer Casey Stoutamire. Drs. Andy Brown and Bethany Douglas were also in attendance.

BOD members present included Chair Dr. Nick White; Vice Chair Dr. Claudio Miro; Drs. Brad Cherry, Tom McCawley and Jose Mellado; dental hygiene members Ms. Karyn Hill and Ms. Angela Johnson; and consumer member Mr. Ben Mirza. There are

currently two open dental positions and one open consumer position on the board.

The board reviewed several licensure applications including multiple applications submitted under the new MOBILE endorsement. As a reminder, legislation was passed during the 2024 legislative session that created this licensure pathway. To qualify for licensure, a dentist must:

• Must hold an active, unencumbered license issued by another state, the District of Columbia, or a territory of the United States in a profession with a similar scope of practice, determined by the board or the department, as applicable.

• Must have obtained a passing score on a national licensure examination or hold a national certification recognized by the board.

• The BOD defines this type of examination as either the ADEX exam or a regional board examination such as the NERB. A state-specific examination does not meet this requirement.

• Must have actively practiced the profession for at least three years during the four years immediately preceding the date of submission of this application.

• Must not have ever been reported to the National Practitioner Data Bank, unless the applicant successfully appealed to have the report removed.

• Must not be the subject of a disciplinary proceeding in a jurisdiction in which he or she holds a license or by the United States Department of Defense for a reason related to the practice of the profession for which the applicant is applying.

• Must not have had disciplinary action taken in the five years immediately preceding the date of submission of the application.

• Must meet the financial responsibility requirements of s. 456.048, Florida Statutes, or the applicable practice act, if required for the profession for which you are applying.

• This requirement is for malpractice insurance.

Before reviewing the MOBILE applications, Dr. White informed those in attendance that the board would be required to deny the applications because it cannot waive a statutory requirements (those items listed above). He suggested the applicants withdraw their applications so that the board did not have to deny them. If an application is denied, it is reported to the National Practitioner Database. All applicants chose to withdrew their applications. There was a discussion about what information applicants received from board staff about this situation. Board staff have no authority to deny an application. If an applicant refuses to withdraw when staff first notify them, the application must then come before the board. Staff communicates the situation and explains that the board cannot waive a statutory requirement, yet applicants still come before the board thinking they can plead their case and obtain a different outcome. Board staff said it will continue to work on the verbiage they send to applicants to prevent this situation in the future.

The board approved a proposed change to rule 64B5-12.0175(2), Standards for Approved Providers. This rule defines the requirements

It is much better to be a spectator than a participant in BOD disciplinary cases.

under which continuing professional education providers authorized by the Board must comply. The rule will now read:

(2) Instructors shall be adequately qualified by training, experience, knowledge and or licensure to teach specified courses. Because domestic violence courses must contain information specifically appropriate for, directly pertinent to, and useful in, dentistry, all domestic violence instructors shall be familiar with dental injuries indicative of domestic violence, reporting obligations under Florida and federal law, and incidence statistics in the dental profession. Instructors who have had a professional license revoked, suspended, or otherwise acted against, in Florida or in another jurisdiction, shall be disqualified when the nature and number of disciplinary actions indicate a conscious disregard for the laws, rules and ethics of the profession.

At a prior meeting, the board had approved language moving local anesthesia administered by a hygienist to indirect supervision. However, the board's attorney notified the board that it cannot propose this rule because Florida statutes require local anesthesia by a hygienist be performed under direct supervision. A rule cannot supersede what is required in the statute. Thus, the previous rule will not move forward.

There were four disciplinary cases, two determinations of waivers and one voluntary relinquishment that included, among other things, incorrect implant placement, failure to use a rubber dam during an endodontic procedure, root canal perforation and failure to report action taken against a license in North Carolina.

FDA Chief Legal Officer Casey Stoutamire can be reached at cstoutamire@ floridadental.org

New Guaranteed Issue Benefits Now Available for FDA Members

Affordable Coverage Options Designed to Fill Key Protection Gaps

Florida Dental Association (FDA) members now have access to a new suite of exclusive insurance benefits designed to protect what matters most — your income, family and future. Offered through FDA Services and BuddyIns, a trusted benefit partner, these programs are available with guaranteed issue options, meaning members can enroll without answering medical questions or undergoing exams during the initial enrollment period.

These new group benefits offer practical and affordable solutions to help address common coverage gaps, including life insurance, long-term care and short-term disability.

Term Life Insurance to Age 100

Affordable life insurance with guaranteed rates and family coverage

FDA members can now enroll in term life insurance that offers level premiums through age 100. This means the cost will not increase as you age, providing long-term financial predictability. Coverage is available for members, spouses and children.

Long-Term Care Benefits with Whole Life Insurance

Two essential protections combined in one policy

This innovative plan provides permanent whole life insurance along with a built-in long-term care benefit that covers up to 34 months of care. If the long-term care benefit is used, the policy’s death benefit is later restored — ensuring long-term value for your family.

Short Term Disability Insurance

An affordable way to protect income when it matters most

Short-term disability coverage plays a vital role in bridging the gap between the onset of a disability and the start of long-term disability coverage. This policy is beneficial during maternity leave or other short-term health disruptions.

Coverage is available for as low as $9 per month, with benefit periods of three or six months. It provides rapid financial relief and helps minimize income loss during vulnerable times.

Special Member Advantages

During this initial enrollment window, all benefits are available with guaranteed issue — no health questions or medical exams required. Members also enjoy the advantage of group pricing, which makes these policies more affordable than comparable individual plans.

Enroll Today

Enrollment is now open for a limited time. FDA members are encouraged to explore their options and take advantage of guaranteed issue availability. Spousal coverage is also available.

For more information or to enroll, visit enroll.buddyins.com/ fdahome.

With an easy enrollment process, you can choose the affordable benefits that work for you.

Bridge the income gap of long term disibility insurance.

• Rapid financial relief

• Pregnancy benefit

• Bridges long term DI gap

• Affordable coverage

• Flexible benefit periods

Affordable life insurance that grows with you.

• Level premiums to age 100!

• Affordable coverage

• Family coverage, including children

• Guaranteed issue up to $150,000

Essential life insurance with a long term care (LTC) benefit.

• LTC benefit up to 34 months

• Permanent coverage with cash value

• Death benefit regardless of LTC benefit use

• Affordable coverage

Dental Insurance Broker in the Nation. Period.

Take the first step on the path to dental radiography certification. Train online, at your own pace. Study anywhere! The Florida Dental Association (FDA) Online Radiography Training Program provides you the formal training you need, with the professional development you want. Enrich your career path while contributing a vital service to your patients and dental team. It’s the most convenient and economical way to get the radiography training required by Florida law. It’s affordably priced, too — just $285 per student* for FDA members!

Empowering Dental Teams: Online Radiography Certification Offers

Flexibility, Efficiency and Growth

In today’s fast-paced dental environment, maximizing the potential of every team member is essential. The Florida Dental Association (FDA) offers a forward-thinking solution: an online dental radiography training program that equips dental assistants with the necessary credentials while providing dental practices with a streamlined way to enhance their team capabilities.

Florida law requires dental assistants to receive formal training and certification to perform radiographic procedures. The FDA’s online program meets this requirement by offering convenience, affordability and a robust educational foundation. The course consists of nine interactive modules that students can complete on their own time using any web-enabled device. Each section concludes with a quiz to reinforce understanding, culminating in a 60-question final exam. To pass, students must achieve a score of at least 80% and are allowed multiple attempts if needed.

Following successful completion of the coursework, the assistant must demonstrate their practical skills by exposing a full-mouth series of radiographs — including four bitewings — with no more than five re-takes. This clinical portion is completed under the supervision of the

dentist, who reviews and approves the work. Once signed off, the assistant earns a certificate of completion and can apply for state certification.

The benefits of the program extend to both dentists and assistants. For dental assistants, it represents an opportunity to grow professionally, expand their clinical responsibilities and become a more valuable part of the dental team. With radiographic certification, assistants can take X-rays during exams and treatment, assist hygienists more effectively and contribute more to patient care.

For dentists, the program offers an efficient path to compliance with state regulations without interrupting daily practice operations. Training can be completed without the need for travel or scheduling in a classroom. The supervising dentist initiates the process by creating an account at mydentalradiography.com/fda, completing a brief tutorial and issuing vouchers to team members. Assistants then receive immediate access to the course and can begin studying at their own pace.

To learn more, call 850.681.3629 or visit mydentalradiography. com/fda

At just $285 per student for FDA members ($385 for non-members), this program is both economical and practical. It strengthens the entire dental team, improves workflow and helps practices deliver better care.

Why Florida Dentists Recommend the FDA’s Radiology Certification Program

“The ease and convenience of using the Florida Dental Association’s (FDA) dental radiography program to help train my assistants has been an invaluable resource.”

— Dr. Victoria Rinando • smilebyvictoria@gmail.com

I just want to thank the FDA for offering an online radiology course. I needed to hire another assistant, and since it’s been hard to find one, purchasing this course allowed me to hire and train someone to become X-ray certified in my office. The online portion and then the hands on training went very smoothly. I highly recommend this course.

— Dr. Susan Byrne • sbyrne1538@gmail.com

The FDA makes it easy to obtain radiology training and certification for my new staff members! As a start-up, there’s always something to do and I appreciate how streamlined and flexible this program is!

— Dr. Alyssa Ricci • DrR@ricciorthodonticstudio.com

I highly recommend the FDA’s Radiology Certification Program for its quality and value. The program is well-structured, user-friendly and comprehensive. It effectively and efficiently covers oral radiology for the dental assistant. The curriculum is designed by experts and keeps up with industry standards with an emphasis on practical applications and radiation safety. The online platform is flexible, allowing participants to learn at their own pace while providing appropriate guidance and resources. The program has given my staff the confidence and skills to thrive in the clinical setting. Overall, the program is an excellent investment for anyone looking to expand their qualifications and advance their dental career.

— Dr. Fred Grassin • fgrassin@me.com

Abbey Montes, a team member of Dr. Fred Grassin, completes the FDA Radiography Certification Course.

dental radiography

How Dental Radiography

Professionals Can Help Identify

Intimate Partner Violence

Dental radiography staff — by staying observant, informed and nonjudgmental — are uniquely positioned to offer a lifeline to patients who may not feel safe anywhere else.

Intimate Partner Violence (IPV) is a widespread yet often hidden public health crisis. According to the Centers for Disease Control and Prevention (CDC), more than 41% of women and nearly 26% of men in the United States have experienced IPV in their lifetime, including physical violence, sexual violence or stalking.¹ Despite its prevalence, IPV frequently goes undetected in health care settings, including dental care, where opportunities for early identification and intervention exist.

For dental radiography professionals, the connection is vital. Up to 75% of physical abuse injuries are directed at the head, face and neck² — areas routinely examined during dental imaging procedures. Injuries such as facial fractures, dental trauma or repeated oral injuries with inconsistent explanations may be signs of abuse. Yet, studies show that fewer than 1% of dental providers recognize suspected IPV, often due to a lack of training or uncertainty about how to respond.³

The Unique Role of Dental Radiography Staff

Dental radiographers play a pivotal role in the care team — not just by capturing diagnostic images but also being attentive observers. Radiography appointments often provide a quiet, one-on-one interaction with patients, creating a window of

opportunity to notice both physical signs and behavioral cues of abuse.

Signs to be aware of include:

• Recurrent facial injuries, especially on the same side of the face.

• Fractures or trauma inconsistent with reported causes.

• Anxiety, fearfulness or reluctance to speak, particularly when accompanied by a partner.

• Hesitation or deflection when asked about injuries.

These signs alone do not confirm, but they should prompt a closer look with a trauma-informed, compassionate approach.

Creating a Supportive Response

Responding to IPV in a health care setting doesn’t require being an expert — it requires awareness, empathy and a connection to resources. The National Health Resource Center on Domestic Violence, coordinated by Futures Without Violence, offers comprehensive training materials, clinical tools and referral resources specifically designed for health care providers, including dental professionals.⁴

Here are practical steps dental radiography team members can take:

• Educate yourself on IPV dynamics and health carebased interventions.

• Create private moments during appointments to speak with patients confidentially, away from accompanying individuals.

• Use supportive language such as, “Because violence is so common, we ask all patients about safety at home.”

• Know your local referral network, including domestic violence hotlines and community-based support organizations.

You Are Part of the Safety Net

IPV can have devastating effects on oral health and overall well-being. Survivors often suffer in silence, and a compassionate conversation in a dental chair may be the first step toward getting help. Dental radiography staff — by staying observant, informed and nonjudgmental — are uniquely positioned to offer a lifeline to patients who may not feel safe anywhere else.

You can help identify IPV early, connect patients to support and contribute to a health care system that promotes safety and healing for all. If a patient discloses abuse, thank them for sharing, validate that the abuse is not their fault, and provide them with the Florida Domestic Violence Hotline: 1.800.500.1119 (available 24/7). It is also recommended that

you familiarize yourself with your local certified domestic violence center at fpedv.org/get-help/, which can offer emergency shelter and additional non-residential services.

Sources:

¹ Centers for Disease Control and Prevention (CDC). cdc.gov/violenceprevention/ intimatepartnerviolence/index.html

² Futures Without Violence. National Health Resource Center on Domestic Violence. futureswithoutviolence.org/initiative/national-health-resource-center-on-domesticviolence/

³ Hsieh, N.K. et al. (2006). “Addressing Intimate Partner Violence in the Dental Setting.” Journal of Dental Education

⁴ National Health Resource Center on Domestic Violence, Futures Without Violence. ipvhealth. org/

FPEDV is Florida’s federally designated domestic violence coalition, dedicated to creating a future free from domestic violence through advocacy, education and support for service providers. As a statewide leader, FPEDV works to strengthen the capacity of domestic violence centers and community organizations by offering comprehensive technical assistance, training and resources. Visit www. fpedv.org for more information and resources.

The Florida Partnership to End Domestic Violence’s Chief Program Officer, Tanesha McDonald, can be reached at taneshamcdonald@fpedv.org.

Leaders Emerging Among Dentistry (LEAD) is the FDA’s signature leadership development program. LEAD equips participants with essential leadership and interpersonal skills through comprehensive training sessions while providing a backstage pass to your Florida Dental Association and leadership opportunities within the organization.

dental radiography

Dental MRI Is Here to Stay: University of Minnesota Debuts

First U.S. Dental-Dedicated MRI Center

Magnetic resonance imaging (MRI) has been a staple in medicine and dentistry for many years. In dentistry, it serves a somewhat confined role in imaging the temporomandibular joints (TMJ) and occasionally the head and neck, including cysts or tumors. Dental MRI research and publications on these indications, as well as more “traditional” dental imaging tasks such as caries or periapical lesion detection, have progressed steadily since the mid-1980s, followed by a rapid increase in published papers in the early 2020s. These studies have long demonstrated the utility of MRI TMJ and cyst/tumor imaging, as well as the promise of MRI for essentially the entire range of dental imaging indications. Indications include caries, periapical disease, periodontal disease, growth and development/

orthodontics, implant planning, lesion characterization, etc. However, MRI units have not yet found a physical home for routine use in dental clinics and dental research institutions in the United States (U.S.).

The newly formed Orofacial MRI Center (OMRIC, dentistry.umn.edu/omric) at the University of Minnesota School of Dentistry is home to the first dental-dedicated MRI (ddMRI) unit in North America and the second installation of its kind in the world. Researchers Drs. Don Nixdorf and Laurence Gaalaas have an extensive track record in dental MRI research and development. Still, they are thrilled to have as an imaging tool one of the very first dental-dedicated MRI units, a Siemens MAGNETOM Free.

Max Dental Edition* MRI scanner. In collaboration with Dentsply Sirona and Siemens Healthineers, Nixdorf and Gaalaas secured a multi-year research agreement and constructed a physical imaging center around a Free.Max MRI unit. Beginning in early 2025, they initiated research studies to investigate the utility of ddMRI diagnosis in patients with endodontic, orthodontic and TMJ conditions. Such work will establish the utility of an experimental dedicated extraoral dental MRI coil and support proven indications for ddMRI imaging in endodontic, orthodontic, TMJ and other dental patient populations.

Proton density (left) and CBCT (right) images of apical lesion and furcation involvement at tooth #2. This tooth was clinically diagnosed with pulpal necrosis and a crack involving the furcation.
Proton density image showing improved image detail provided by dental dedicated MRI coil.
Dr. Pakchoian
Dr. Gaalaas
Dr. Nixdorf

For those who need a refresher or those who have never truly understood how MRI works, the physics and engineering involved are remarkable. The four basic steps to performing MRI are 1) Put a patient or patient’s body part in a strong magnet field, causing protons (hydrogen nuclei) in the patient to align with the magnetic field. 2) Apply a radiofrequency (RF) pulse at a specific frequency, then, in a phenomenon of physics, all of the protons in the patient previously aligned with the magnetic field realign with the RF pulse and absorb some of the transmitted RF energy. 3) Stop the RF pulse and record any RF energy released back by the patient. It turns out that when tissue protons absorb RF energy, they release it back into their surrounding environment in two distinct ways (T1 and T2) and at variable rates based on surrounding tissue characteristics. Repeating this process multiple times while intentionally altering the initial strong magnetic field with secondary magnets (called gradient coils), all while recording this released signal with an MRI coil (think antenna) allows the system to back-calculate 1) a signal representing relative density of protons or other tissue characteristics and 2) the spatial location of that signal, all together letting us create diagnostic images representing anatomy, disease and at times, tissue function.

So, why did it take so long for a dental institution in the U.S. to acquire its own dedicated MRI unit? Cost is the primary reason. Conventional clinical MRI units have fairly large field strengths (commonly 1.5 T or 3 T), utilizing superconducting electromagnets cooled to near absolute zero with cryogens such as liquid helium. A significant expense associated with conventional MRI units, in addition to the cost of the large magnet itself, is the very expensive chimney-like “quench” infrastructure required to manage the very rapid and potentially dangerous expansion of liquid cryogens boiling off if there is a problem with the unit — conversely, the Siemens MAGNETOM Free.Max Dental Edition* unit at OMRIC is unique in that it utilizes a relatively weaker and less expensive main magnetic field (0.55 T), and it is cooled by a closed helium cryogen system requiring no expensive quench infrastructure. These design features dramatically reduce overall system cost. Other advances that have facilitated the pursuit of a dental dedicated MRI unit are computational signal processing advances allowing the use of weaker magnetic fields, and the development of short T2 MRI sequences

These studies have long demonstrated the utility of MRI TMJ and cyst/tumor imaging, as well as the promise of MRI for essentially the entire range of dental imaging indications.

which perform notably better at imaging hard tissues such as bone and teeth, compared to more traditional MRI sequences.

While most dentists are likely familiar with the basics of how information is displayed on an MRI image, the adoption of ddMRI will require a mindset shift for virtually all dental team members who may utilize this new technology in their respective clinics. First, the grayscale is fundamentally different from that used for all X-raybased imaging. In MRI, soft tissues are commonly displayed as gray or bright white signals, while hard tissues, such as teeth and bone, are shown as very dark gray or black signals; air remains black. Furthermore, MRI offers the option to select from a variety of different sequences, each of which can produce a slightly different tissue grayscale and corresponding image. Some sequences, such as T1 or PD, do an excellent job of demonstrating detailed anatomical relationships. Other sequences, such as T2, do an excellent job of demonstrating the presence of fluid accumulation within tissues. Many available “Fat sat” or “STIR” sequences may selectively “zero out”, “suppress”, or “saturate” the signal of fat, which is traditionally very bright white on MRI images, to reveal the otherwise hidden signal from subtle fluid accumulation or inflammatory changes. Some of these specialized sequences may not accurately depict anatomic relationships, but are designed to be exceptionally sensitive to detecting inflammatory changes with a bright signal. The short T2 sequences mentioned above are beginning to depict the hard tissue differences between cortical bone and medullary bone, as well as the differences between tooth dentin and enamel. Developing, learning and using all these different sequence choices in concert is where the real research and diagnostic potential of ddMRI lies. t

dental radiography

Dentists new to ddMRI will also have to adapt to a new set of MRI safety considerations. There are very few, if any, hard contraindications to imaging with X-ray-based systems. The primary goal of the ALARA principle is to minimize exposure as much as reasonably possible to mitigate the development of malignant disease later in life. MRI, conversely, has the advantage of using no ionizing radiation and therefore has no known risks for cancer later in life. Alternatively, as many readers may learn from their own experiences as MRI patients, the magnetic field and RF environment are not always safe for patients with certain implanted metallic objects, including both passive (implants with no associated electronics) and active (implants with electronics, such as pacemakers or nerve stimulators). Thankfully for dentistry, our colleagues in medicine and the medical device industry have already established the safe use and operation of MRI as a clinical diagnostic modality. Also, thankfully, well-anchored metallic dental restorations, dental implants, and other fixed dental appliances are generally safe for MRI imaging. The University of Minnesota School of Dentistry and OMRIC recognize these pending paradigm shifts in dentistry and, in addition to ddMRI research, have prioritized offering quality ddMRI continuing education for the dental profession. In August 2025, OMRIC will host the first-ever hands-on ddMRI training course for oral and maxillofacial

radiologists interested in learning more about the latest developments and implementation of ddMRI. After that, stay tuned for more updates from OMRIC and the Dentsply Sirona – Siemens Healthineers collaboration, including ddMRI research, training and the potential for ddMRI to become integrated into dental care for every patient in the country.

Dr. Pakchoian is a U.S. Navy veteran and currently in private practice as an Oral & Maxillofacial Radiologist. Dr. Pakchoian owns Pakchoian Maxillofacial Radiology Services PA and can be reached at ajp.omfr@gmail.com

Dr. Gaalaas is the Chief Oral and Maxillofacial Radiologist at OralMR LLC, which is developing the next-generation dental magnetic resonance imaging system. These interests have been reviewed and managed by the University of Minnesota by its conflict of interest policies. Drs. Gaalaas and Nixdorf have received compensation for consulting for Dentsply Sirona. This relationship has been reviewed and managed by the University of Minnesota by its conflict of interest polices. Dr. Gaalaas can be reached at gaal0017@umn.edu

*MAGNETOM Free.Max Dental Edition is pending 510(k) clearance and is not yet commercially available in the U.S. Its future availability cannot be guaranteed.

Proton density image of horizontally impacted tooth #17.
Proton density image of TMJ demonstrating anterior disc displacement, disc fold and joint effusion.

dental radiography

Pterygoid Implant-Retained Bridge Following Multiple Failed Alveolar Implants in Posterior Maxilla

Abstract

The replacement of multiple teeth with dental implants in the posterior maxilla is challenging, due to factors including low density bone and sinus morphology. When considering restoration of this region, prosthetic design will dictate implant placement. Additionally, planning must consider spacing between adjacent implants, spacing between implants and adjacent teeth and irregular alveolar ridge morphology. These key measurements translate to the final prosthesis design and will affect cleanability and future oral hygiene maintenance. These characteristics subsequently affect overall longevity of the implants and prosthesis.

In the following case, multiple closely placed implants presenting with poor cleanability consequently failed, requiring removal and resulting in a large atrophic span. Multiple useful fixed options exist to restore such a deficiency, including guided

bone regeneration, sinus lifting and extra-maxillary implant placement. Our focus in this area includes the placement of implants in a largely de novo grafted sinus with concerns of long-term stability in grafted bone.

This patient case report presents a complex case including an atrophic posterior maxillary region, a history of multiple failed implants, the complete lack of a sinus floor and the goal of rehabilitating normal masticatory function. Extensive grafting, 3D modeling, prosthetic splinting, and extra-maxillary anchorage were utilized in management of this case to maximize primary stability.

The concept of dental alveolar implants has quickly become a staple of restorative dentistry since the advent of reliable osseointegration in regions of the jaw.1 Today, the technique is used not only for single tooth replacement, but also for long spanning edentulous regions of the

jaw and full-mouth rehabilitation.2 As the field has advanced, more techniques have emerged to accommodate more-complex reconstructions including sinus floor elevation (SFE) and guided bone regeneration (GBR).3 There have also been alternate forms of implant placement including angled implants, pterygoid implants,4-6 zygomatic implants, as well as techniques to stabilize implants through splinting.7 These solutions have given practitioners different techniques to help patients unsatisfied with the current limits of removable prostheses.8,9

As mentioned, the posterior maxilla presents challenges such as lower-density bone and proximity to the maxillary sinus.10,11 Practitioners thus rely on a combination of techniques to achieve adequate results for patients in this region. Often SFE is utilized along with angled, pterygoid or zygomatic implants providing extra-maxillary implant anchorage. This strategy bypasses many of the complications of the posterior maxilla and provides a reliable bony support for longevity under masticatory forces. Failures or complications can arise in the form of peri-implantitis, perforated sinus membranes, lack of adequate bone, artery damage or integration failure. The aim of this

Dr. Dakhlallah Mr. Wilmot Dr. Gimmalva Dr. Gupta

case report is to discuss an isolated solution for a patient who otherwise had limited previous success with a removable prosthesis and few remaining options with traditional alveolar implant placement.

It must be emphasized in this implant dentistry that prosthetic design should dictate implant placement. Any large edentulous span likely requires multiple implants for anchorage. A digital wax-up helps determine the optimal location of the placement of the implants. Teeth with a questionable prognosis may need to be sacrificed to optimize the prosthetic design. Both the inter-implant distance as well as the distance between implants and natural dentition needs to be taken into account to promote cleanability. Implant placement based on the wax-up may help identify the need for additional bone grafting in horizontal as well as

vertical components. Irregular bony topography, implants, dentition located in close proximity, and suboptimal prosthetic design may lead to plaque-accumulating spaces. This can affect oral hygiene maintenance, and may ultimately lead to failure of the implants and prosthesis.12

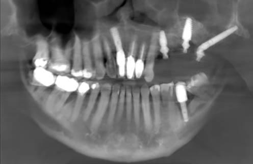
Case Report

A 72-year-old male presented in 2021 to the clinic with three failing implants in his upper-left-hand quadrant and desired a reliable fixed solution. The patient had a previous history of a prior failed isolated implant at site #13 in 2015. At the time, the neighboring teeth in sites #12 and #14 had a hopeless prognosis due to loss of peri-radicular bone associated with the failing implant at #13. Teeth #12 and #14 were extracted along with implant #13, and the patient received bone graft of unknown nature to the sites of #12,

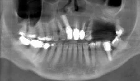
#13, #14 for ridge preservation. At a later date, three implant-supported crowns in close proximity were placed in these sites. Notably, the crowns were non-splinted. (Fig. 1).

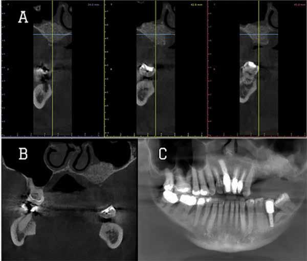
In July 2021, the patient presented with mobile implants #12, #13 and #14 to his dental practitioner (Fig. 2). The implants were removed without bone grafting.

The patient received an interim removable partial denture and presented to the oral surgery clinic for evaluation for a fixed solution. At the time of initial consultation (September 2021), it was determined that failure of the implants was due in part to excessive occlusal forces as well as lack of proper hygiene maintenance and recall by the patient. For success, prior restoration design should have minimized difficult-to-reach areas for brushing

Fig. 1: May 2021. Panoramic radiograph shortly after placement of upper left #12, #13, #14.
Fig. 2: July 8, 2021. Panoramic radiograph captured prior to removal of upper left #12, #13, #14.
Figs. 3A, 3B, 3C: Sept. 1, 2021. Panoramic radiograph captured prior to removal of upper left #12, #13, #14. A: coronal 1 mm slices; B: coronal; C: reconstructed Panorex.

NEW BACKGROUND SCREENING REQUIREMENT FOR LICENSURE RENEWAL

All health care practitioners, including dentists and hygienists, will be required to have a background screening and fingerprinting in order to renew their licenses for February 28, 2026.

Fingerprinting & Background Screening Requirement

Florida Dental License Renewal:

Per 2024 legislation, all Florida-licensed dentists and dental hygienists must complete a Level 2 background screening every five years. This includes electronic fingerprinting through a state-approved provider

Deadline:

Must be completed by February 28, 2026. Recommend completing at least 21 days in advance to avoid delays.

Who Must Comply:

All licensed health professionals in Florida, including dentists and hygienists. Dentists must complete this every other biennium.

Approved Vendors Only:

Fingerprinting must be done through a Florida Department of Law Enforcement (FDLE)-approved Livescan provider that is photo-capable and participates in the Care Provider Background Screening Clearinghouse.

Medicaid Providers:

May be required to complete fingerprinting; depends upon past screenings. Prior screenings must be within five

years and through an FDLE/Clearinghouse-compliant provider. You must have your Transaction Control Number (TCN) during licensure renewal. Only the fingerprint provider you used can issue that information.

Concealed Weapon Permits Do Not Qualify:

Fingerprints submitted for concealed weapon permits cannot be used for licensure screening.

Privacy Statement Required:

The privacy statement on your renewal application must be signed. Without it, results cannot be shared with the Florida Department of Health.

How to Complete Your Screening:

• Register in the CHAI system.

• Create or update your profile.

• Schedule an appointment with an FDLE- approved Livescan provider.

• Bring your ORI number (EDOH4560Z) to the appointment

• Keep your TCN which is required when renewing your license.

floridadental.org/fingerprinting

dental radiography

5: Jan. 3, 2022. Three-month post-op evaluation of initial bone graft (sinus and horizontal GBR) shows horizontal defect remaining at site #12 (blue crosshairs).

and flossing to control interproximal plaque build-up. The close proximity of implant placement led to poorly contoured, geometric crowns with an unnatural emergence profile and unnaturally broad vertical contacts. All of these factors enhanced the difficulty of cleanability. In addition, the proximity of the implants to each other possibly contributed to ischemia and interproximal bone loss between implants.13

Initial Exam: Sept. 1, 2021

Our clinical exam revealed attachment loss and root surface exposure on the distal of #11 with no mobility, #15 with mild attachment loss and class I mobility, #19 with attachment loss and class I mobility, limited keratinized tissue on the buccal of #12-14. No oral-antral communication was noted. Additionally, the patient had a complicated class III occlusion with an anterior open bite, cross bite on the right, and narrow maxilla, which was consistent with left-sided dental and skeletal crossbite. The right side was noted to have a canine crossbite and class III molar relation, and tooth #11 had a canine

end-to-end (0 mm overjet) and class III relationship.

Radiographic exam noted a saucerized bone defect from sites #11-15, most notably a sinus floor defect in a 11.5 mm x 12 mm size superior to sites #13 and #14. No oral-antral fistulas were noted on the radiographic exam, with complete sinus pneumatization to the oral mucosa on the left side (Fig. 3). Tooth #15 was given a poor prognosis and #11 was given a guarded prognosis. Implant #19 was recommended to be extracted, but the patient refused at this time. Risk-benefit counseling was performed to counsel the patient against the risks of the procedure. Some key concerns included flora provided by a nearby failing implant, anchorage of an implant in de novo grafted bone, malocclusion and difficulty in cleanability that could contribute to failures of future implants planned at this site (see Discussion). The patient elected to proceed with dental implant rehabilitation of the upper left maxilla as his chief concern.

Given the history of failed implants on two occasions, lack of bone in sites #13, #14, and an unfavorable occlusion, a fixed implant solution using the same method was predicted to be unsuccessful. Natural tooth #15 would be a poor abutment for a bridge and was consequently planned for extraction. Sinus grafting would be challenging as well, due to the lack of sinus floor at the area of sites #13 and #14. If an implant-retained bridge was to be placed, three implants were recommended to support the prosthesis, and an extra-maxillary implant was considered to provide anchorage in native bone, as opposed to implants only in grafted de novo sinus bone. Enameloplasty would be performed on tooth #18 to correct the curve of Spee and provide additional prosthetic space.

Initial

Surgery: Sept. 17, 2021

A sinus augmentation was performed with a split thickness sinus floor elevation technique at the sites of #13, #14 and buccal augmentation at the sites of #11 and #12. A bone scraper

Fig.4: Sept. 17, 2021. Post-op Panorex showing augmented sinus.
Fig.

dental radiography

(MX grafter, Ebner) was used to harvest autograft from patient’s lateral mandible and admixed with rhBMP (Infuse, Medtronic), bone xenograft (Straumann, low-heat sintered) and platelet rich fibrin (PRF). This bone mixture was used to augment the left maxillary sinus and covered with PRF membrane and placental membrane (Bioxclude, Snoasis) and the site was secured with primary closure (Fig. 4). The patient was advised to have a minimum of three months of consolidation of the graft, prior to any implant placement.

Second surgery: Jan. 3 2022; extraction tooth #15, ridge preservation, horizontal ridge augmentation site #12

Following three months of healing, the site was re-evaluated (Fig. 5). It was determined there was acceptable bone volume from the sinus lift, but inadequate horizontal width at edentulous site #12. A secondary grafting procedure was performed to buccally augment site #12 and #13 with PRF and particulate corticocancellous allograft (Maxxeus), and extract tooth #15 with ridge preservation (Osteogen, Impladent).

The previously planned additional three months for bone graft consolidation (total of six months for sinus augmentation) continued to be the goal preceding implant placement. The surgical plan (made in conjunction with the general dentist) was for dental implant placement in sites #12, #14, and pterygoid implant site #15. Additionally, it was decided that immediate loading would be utilized if an adequate composite primary torque value could be achieved.

Implant Placement: April 7, 2022

After an additional three months, adequate bone volume was available at all sites for implant placement (Fig. 6). Dental implants (Neodent GM, Straumann) were placed freehand. Each implant achieved >45 Ncm of primary stability. Straight multi-unit abutments were placed on #12 and #14. A 45-degree multi-unit abutment was placed on #15 via engaging the pterygoid plate.

Fig. 6: Location of pterygoid plates. Implants engage pyramidal bone between medial and lateral plates. Arrow points to hamulus on the medial pterygoid plate. Sagittal (slightly oblique) and axial views shown.
Fig: 6A, 6B, 6C: March 16, 2022. Panoramic radiograph captured prior to placement of implants. A: coronal 3 mm slices; B: coronal; C: reconstructed Panorex.
Fig. 7: Implant placement post-operatively; reconstructed CBCT (see above).

A four-unit provisional was digitally designed and fabricated by a local dental lab. Soft tissue positioning and dental relationships were obtained by intraoral scanning (Medit i500), and implant placement (digital verification jig) was obtained by photogrammetry (Icam4d, Imetric). The provisional was designed (Exocad) completely out of occlusion and was 3D-printed and delivered the following week (April 12, 2022). The patient was advised to acquire a night guard via his general dentist (BG) and address existing periodontal issues, including the removal of implant #19.

After four months (Aug. 8, 2022), the patient was brought back for final records. The temporary was removed and soft tissue showed good healing. The case design was adjusted in conjunction with the general dentist via Exocad (Fig. 12B) and the final zirconia restoration was delivered without requiring any occlusal adjustments (Figs. 12C, D). Notably, the implant at site 19 exfoliated. An FPD bridge was planned from site #18 to #20 given significant bone loss, minimal restorative space, or ability to recontour the patient’s occlusion in the lower left. Final radiographs were taken (Fig. 13).

Discussion

Dentists are presented with challenging cases regularly, and it can be difficult to determine which cases deserve application of advanced techniques and which should be deemed hopeless. The case study presented was successful due to careful coordination with providers, utilization of digital tools, identifying

Fig.8A, 8B: April 7, 2022. A: multi-unit abutment; B: surgical gray caps.
Figs.9A, 9B: A: photogrammetry dominoes; B: Icam digital data.
Fig. 10: Temporary prosthesis delivery one week after implant placement.
Fig. 11: Post-op Panorex with temporary placement.

dental radiography

the diagnostic challenges and attempting to address each challenge.

In this case, the patient’s cause for initial failure may be multifactorial; without a full set of records, we may never know the complete history. Given what was available, an inference can be made as to what caused the failures. The general prevalence of peri-implant disease and attachment loss among implants is significant, with rates of peri-implantitis cited at 20% of subjects and 12% of implants.14,15 Generally, systemic health factors should be identified early to accommodate and account for immunocompromising conditions including diabetes, smoking or medications which increase failure. These jeopardizing drugs include both bisphosphonates16 and SSRIs.17 Local factors such as hygiene and personal habits should also be evaluated.

In this case, none of these condtions seemed to be a singularly definitive culprit. Suspect in this case was the multifactorial presence of existing periodontal disease, close proximity of previous implants, traumatic occlusion, and the documented higher propensity of posterior maxilla implants to fail.18 Radiographically, tooth #15 presented with a widened periodontal ligament (PDL) space, introducing a bacterial pathology that may have contributed to serial failure of the existing implants at sites #12, #13, and #14. Another radiographically evident local factor leading to failure is the existence of peri-implantitis elsewhere in the oral cavity on #19. Evidence indicates that local pathological flora affecting the periodontium can compromise implants elsewhere in the mouth.19 The close proximity of the previous implants compromises vascular supply to the bone surrounding the implant bodies, which may also induce failure.12,20 In addition, close implant placement led to poor success when

Figs. 12A, 12B, 12C, 12D: Nov. 9, 2022. A: soft-tissue contour following removal of interim prosthetic; B: design of definitive prosthetic on Exocad software; C: final delivery of definitive prosthetic.
Fig. 13: Nov. 9, 2022. Final delivery of definitive prosthetic.
Figs. 14A, 14B, 14C, 14D: Nov. 16, 2024. A: frontal view of definitive prosthetic; B: occlusal view of definitive prosthetic; C,D: buccal view of definitive prosthetic.

developing anatomical contours of the original crowns. As a result, the prior prosthesis demonstrated poor contour, geometric crown shapes, excessively long vertical contacts, and many small plaque-accumulating spaces that led to poor cleanability. These factors, paired with the patient’s traumatic occlusion (potentially heavy, crossbite) may have compounded bone loss in the area.21

Due to these compromising conditions, a documented discussion regarding the prognosis of implant treatment was held with the patient. In addition to the above risks, because an odds ratio of 1.5 has been found when placing implants with grafted compared to non-grafted procedures, the high likelihood of attachment loss or eventual implant failure with this procedure was emphasized to the patient.22 Despite informing the patient of a <50% chance of success, the combination of limited alternative treatment options coupled with the patient’s dissatisfaction with removable prosthetics drove his desire for this more-aggressive course of action.

The patient was thoroughly counseled on the more-traditional course of action, which would include non-invasive adjustments to the removable prosthesis, the removal of all periodontally compromised implants, and completion of phase I periodontal therapy before proceeding with any additional fixed prosthetics. While the authors acknowledge this ideal academic progression of treatment, providers must continually balance patient preference and practicality. Taking into account the patient’s frustration with his

Challenging patient cases require creative plans to effectively treat those seeking improvement in oral esthetics and function beyond the capabilities of removable prosthetics.

inability to function comfortably and more efficiently with his current prosthesis, the providers opened the discussion to a more-streamlined course of treatment for the posterior maxilla that more efficiently addressed this chief complaint. Risk reduction is central to clinical excellence, but patient concerns of financial constraints, time and dental fatigue must be managed to ensure patient satisfaction, retention and adherence. In this particular situation, the patient was extensively counseled, understood the risks and traditional protocols, and after a thorough conversation regarding his poor functionality, a consensus was made to sequence treatment with a more-streamlined approach to restore function in the posterior maxilla. This case demonstrated a dilemma where the providers chose to help the patient even in the setting of non-ideal treatment options.

The combination of the patient’s occlusion and risk of failure led to the decision that the best prosthetic solution would be one that splinted the implants together. This treatment better-distributes occlusal load on the implants while increasing the chance of success.5 Additionally, this

plan provided necessary spacing for the bone around the implants to achieve proper vascularization.

The plan included placing at least one implant completely within the de novo grafted bone. As a result, the providers additionally opted to provide anchorage in an extra-maxillary location (pterygoid). This bony structure is resistant to atrophy and projects from the sphenoid bone to the region disto-palatally within the region of the soft palate (Fig. 6). A dento-alveolar implant can be directed intraorally from the second or third molar site into the pyramidal bone between the pterygoid plates. The implant does not need to traverse the maxillary sinus. Although the implant will be surrounded by the softer bone of the maxillary sinus, the actual stability is obtained by the implant fixture in the pterygoid bone.

This anchorage strategy provided high stability, adequate torque, and a strong point of anchorage completely within a region of native bone.4,5,6 Multi-unit abutments were used here both for angle-correction and for ease of splinting for this prosthetic solution.11 In addition to the risk of t

coastal luxury meets professional growth at WIND 2025. Get CE in style with peer-to-peer learning led by Florida’s women in dentistry.

Friday, September 19, 2025

Opal Sol Resort • Clearwater Beach, FL

Education 8:30 am-5 pm • Reception 5-6 pm $399 for FDA Members • $449 for Non-Members

AI in Dentistry • Office Efficiency • Esthetic Dentistry Personalized Periodontics • Perio-Restorative Complications

Oral Surgery Techniques • Unleashing Professional Potential • + More!

dental radiography

bleeding, infection is common with dentoalveolar implants, and surgery in this anatomical region can be complicated by sinus involvement, nerve damage, artery perforation, plate instability/fracture and trismus. Despite these risks, these implants typically provide a 94.87% success rate when helping restore the dentition of a patient with an atrophic maxilla.23

An additional specific challenge to this case was the large fenestration of the sinus floor caused by previous implant failures at #12, #13 and #14, presenting as a sinus pneumatization to the depth of the oral mucosa. Since at least one implant would be required in this location, a sinus lift augmentation was indicated. Autogenous bone would be used in conjunction with rhBMP to build a new alveolar segment in this area. Additional bulk of bone would be augmented with xenograft with PRF to create “sticky bone.” A split thickness lift was required due to the extreme difficulty in separating the Schneiderian membrane of the sinus from the connective tissue of the oral

mucosa. For this reason, an amnion-chorion membrane was used for additional growth factors in addition to PRF membranes.24

All implants used were placed subcrestal and utilized a platform switch to accommodate for preventing future bone loss.25 A screw-retained monolithic zirconia prosthesis was planned with high polish to evoke a good reaction of peri-implant tissues and create a clinical scenario where the epithelial tissues resemble adhesion to the prosthesis.26-30 Communication was held with the lab to match the prosthetic with the soft tissue profile and also to maintain convexity and mirror polish throughout the intaglio. Due to this low-maintenance design, the provider indicated that only water flossers and normal brushing were required to properly clean the region, rather than daily attempts at cleaning the intaglio via super-floss. This care pattern eliminates the need for the proximal brushing that were not performed adequately in the previous design, contributing to the aforementioned compromising interproximal and subgingival plaque.

It is a common misconception to assume that implant crown and bridge procedures are performed the same way as traditional crown and bridge procedures. Dental implants do not have a periodontal ligament and thus will be more affected with traumatic occlusion. This patient presented a class III occlusion with suspected cross bite, and to accommodate it was necessary that prosthetics were adjusted accordingly. For improved longevity, dental implants require freedom from traumatic off-axial forces and excessive vertical loading. A narrower buccolingual occlusal table as well as elimination of interferences in working and non-working occlusion can aid in reducing harmful forces.21,31

The providers opted to immediately load the implants with a 3D printed resin provisional given the torque values during placement. The provisional also provided stabilization, as restoration was confirmed to be out of occlusion. Lastly, an immediate prosthetic would provide for soft tissue shaping of the emergence profile.32,33 For soft tissue contouring and

Fig. 15: Two-year follow-up panoramic of definitive prosthetic.
Fig. 16: March 19, 2024. 1.5-year follow up periapicals of definitive prosthetic.

FDA Career Center

dental radiography

prosthetic design, an intraoral scanner was used to scan cylindrical gray caps on the MUA and additionally capture occlusion in the opposing arch. Using photogrammetry, a digital verification jig was created and captured implant positions with micron-level accuracy, in order to fabricate provisional and final restorations.34 Digitally, the only weakness was the inability to capture the patient’s occlusion in motion. Digital planning facilitates obtaining records, creation of prosthetics and most critically for us, an exact fit for the splinted prosthetic. Without those tools, the ability to treat this patient would have been much more difficult.

Challenging patient cases require creative plans to effectively treat those seeking improvement in oral esthetics and function beyond the capabilities of removable prosthetics. Here, these solutions included a phased grafting technique utilizing both autograft, allograft and xenograft materials to regenerate a bony foundation for implant placement. Furthermore, a pterygoid implant was utilized as a native anchor, utilizing the concept that situations lacking favorable stability in bone grafted to the alveolar ridge may benefit from sources of extra-maxillary bone.

Taking into account the success of the graft, the overall positive outcome of the prosthesis (Figs. 15-16) can be attributed to a multitude of factors. First, comparison to the original failure of closely placed implants may indicate that a splinted broad-span implant prosthetic approach can provide increased long-term stability due to better occlusal distribution without compromising vascular supply due to further inter-implant distance.35 Additionally, utilizing a high-polish zirconia restoration that has adherence-like properties to soft tissue allows for lower maintenance cleanability for the patient compared to the intensive interproximal dedication required

to remove plaque from a separated crown approach. Despite the positive outcome in this case, limitations persisted in producing natural contour of the teeth and in ensuring proper hygiene around the abutments for the final restoration, leaving room for improved solutions in subsequent cases.

References Available Upon Request

About the Authors

Kouder Dakhallah, DDS, is a Michigan native, an alumni of the University of Detroit Mercy Dental School, and current OMFS resident at University of Cincinnati Medical Center. His interests include 3D design and printing for its applications in medicine. Contact him at kouderd@gmail.com

Anish Gupta, DDS, is an oral and maxillofacial surgeon who practices in New Hudson, Mich., at Lyon Dental Implants and Oral Surgery, in addition to lecturing at the University of Detroit Mercy School of Dentistry. His practice focus is on implantology and dental rehabilitation. He is also a member of the 2025-26 MDA Leadership Exploration and Development class. Contact him at guptanish@gmail.com

Joey Wilmot is completing his dental training at the University of Michigan School of Dentistry and will continue his training via an OMFS residency at the University of Florida, Gainesville. Contact him at joey.wilmot@outlook.com.

Brian Giammalva, DDS, graduated from the University of Michigan School of Dentistry and primarily practices at Brighton Family Dentistry. His desire to serve patients with sleep apnea has driven him to establish Livingston Dental Sleep Therapy. Contact him at office@brightonfamilydentistry.com

Reprinted with permission from the Michigan Dental Association, April 2025.

The Open Apex Challenge: A Case Series

The purpose of this abstract is to describe different endodontic techniques for managing immature necrotic teeth.

Managing immature necrotic teeth has always posed challenges because of the unpredictable nature of treating roots with wide open apices that lack an apical stop. Traditionally, treatment involved placement of long-term calcium hydroxide, which was often tedious and required multiple visits. Compliance was frequently an issue, especially since many patients in this category are children and as a result, many teeth were lost due to infection or fracture. Recently, with the introduction of more biocompatible materials, a shorter treatment approach has been advocated using calcium silicate materials, such as Mineral

Trioxide Aggregate (MTA), which can be placed at the apex to provide a suitable seal. However, this technique remains challenging when encountering a blunderbuss apex, where placing the material without pushing it past the apex can be extremely difficult. More recently, pulp regeneration has emerged as a viable alternative to apexification for managing blunderbuss apices. This case series explores various techniques and methods for managing an open apex.

Apexification is a procedure aimed at inducing an apical hard-tissue barrier in a root with an open apex and promoting the continued apical development of an immature root in teeth with necrotic pulp. In simpler terms, apexification is a root canal treatment for teeth with an open apex, but with several key differences.

Restorative material Bioceramic material
Blood clot scaffold Gutta percha
Fig. A

A B C D

Case 1. Fig. 1A. Preoperative periapical radiograph of tooth #20 showing immature blunderbuss apex with associated periapical radiolucency (PARL). Figs. 1B-D. CBCT images of tooth #20 showing immature blunderbuss apex with associated PARL. Thin dentin can be visualized in apical third of root. In figures 1C, 1D one can visualize buccal bone fenestration.

Due to the thin root structure and open apex, root canal debridement is primarily achieved through chemical means, with minimal or no mechanical instrumentation. Because there is no defined “apical stop,” using an apex locator to determine working length is often unreliable, making radiographs the most accurate method for measuring working length.

The main challenge in apexification is creating an apical stop that allows for successful obturation. Unlike conventional endodontic treatment, where gutta-percha is

typically used as the primary obturating material, it is less effective in teeth with an open apex.

Traditionally, for apexification, long-term calcium hydroxide (CH) was used to induce an apical hard-tissue barrier. After conventional disinfection, CH was placed in the canal as an inter-visit medicament to help stimulate a hard-tissue barrier at the apex. Completion of endodontic therapy was usually delayed until apical barrier formation was achieved. Often, multiple CH dressing changes were needed to allow for an apical bridge to

F G H

Case 1. Fig. 1E. Immediate postop periapical radiograph of tooth #20 after completion of modified regeneration procedure. PARL appears smaller and less radiolucent than preop radiograph. Fig. 1F-H. One-year recall CBCT images showing almost complete healing of PARL and increased thickness in both length and width of root. Reestablishment of buccal plate seen in Figs. 2G, 2H

dental radiography

form. Once a barrier formed, which could take more than 12 months, the canal was obturated in a conventional manner with gutta-percha and sealer. The disadvantage to this approach was the variability in treatment time and the unpredictability of the formation of a total and impervious apical seal. 1-2

More recently, the apical plug technique has been employed, in which a bioceramic (BC) material such as MTA or BC Putty (Brasseler, USA) is placed at the apex to provide an apical seal, rather than waiting for CH to induce the seal. The biggest advantage of this approach is treatment is carried out over a much shorter period, generally over one or two visits. It has also been shown to have a high long-term success rate.

While this approach works well for open apex cases, there remains the challenge of filling an open apex, with a risk of overfilling the canal. With the periapical bone and ligament gone in these open apex cases, there is no physical barrier to help resist an overfill. An extra-radicular apical matrix (barrier) of calcium sulfate (ACE Surgical Supply Co, Inc, Brockton, MA) can be placed to prevent extrusion of the BC material past the apex. 3-17

Due to the challenges mentioned above, pulp regeneration — or more accurately, pulp revascularization — has gained popularity in recent years. In pulp regeneration, the goal is not to fill or obturate the canal at the apex but, rather, to use a scaffold, such as a blood clot, within the canal to stimulate the formation of new tissue (Case 3). However, a drawback of this approach is the lack of reinforcement in the pericervical area of the tooth, which can increase the risk of microleakage, especially if the tooth fractures. 18-39

A modified regeneration approach strikes a unique balance by placing a blood clot scaffold at the apical end, minimizing the risk of overfilling the canal. A BC plug is placed on top of the blood clot and the remainder of the canal is then sealed with a restorative material, which not only strengthens the pericervical region, but also helps prevent microleakage of bacteria should the tooth develop coronal cracks. 40-41

A major challenge in treating infected immature teeth with a blunderbuss apex (Fig. A) is the inability to predictably fill the root canal to the apex without risking significant overfilling (Case 2). In recent years, pulp regeneration has gained popularity as a treatment option for these teeth. Instead of attempting to fill the apex with gutta-percha, we draw healthy blood into the canal after disinfection, using it as a scaffold to promote tissue growth and further root development (Case 3).

The blood is drawn into the canal by over-instrumenting the apex with a file. There are generally three goals to the regenerative procedure: eliminate infection; add additional root length; and add additional thickness to the root walls.

Classically, continued root growth was thought to be possible only in vital cases (apexogenesis). Recent studies on pulp regeneration have clearly shown that some continuation of root growth is also possible in necrotic infected cases, even when significant periapical pathology is present. The key to achieving this success is thorough disinfection of the root canal and then leaving some space at the apex for continued root growth.

What differentiates a modified regeneration procedure from a “classic” pulp regeneration procedure is the approach to filling the canal space. In modified regeneration, most of the canal, including the pericervical area, is filled with a restorative material to reinforce the root and provide additional mechanical strength. In contrast, in pulp regeneration, most of the canal is left empty, or more specifically, filled with a blood clot, to allow for continued tissue growth (Case 3).

In modified regeneration, only the apical 3 mm to 5 mm is used as a scaffold for the blood clot. Filling the majority of the canal space with restorative material helps prevent bacterial microleakage, particularly in cases where there is significant loss of coronal tooth structure, as it provides additional protection in the event of a crown fracture. At the interface with the blood clot, or “empty space” in the canal, a bioceramic (BC) material is placed. This material acts as a stimulator to encourage continued tissue

growth. The restorative material is then placed on top of the BC material (Figs. A-C).

Another important factor that supports root growth is hertwig’s epithelial root sheath (HERS), the tissue at the apex responsible for stimulating root development. In the presence of infection, HERS becomes dysfunctional and can only be “reawakened” to play a role in regeneration once the root canal has been thoroughly disinfected. Case 1 demonstrates the modified regeneration procedure, where the root canal was disinfected and filled close to the apex with a combination of BC and restorative materials. No attempt was made to fill the blunderbuss apex to its full length, as doing so would have risked an overfill (Case 2).

Case 1: Modified Regeneration

(See Fig. 1 on page 55).

A 12-year-old girl presented with her mom with a chief complaint of pain and swelling of the lower left mandibular vestibule. Radiographic imaging revealed a periapical radiolucency (PARL) associated with tooth #20, which had an incompletely formed blunderbuss apex. No caries or restorations were noted, but the tooth was very painful to the touch and did not respond to vitality testing. A diagnosis of pulp necrosis with acute apical access was made.

Case 2. Fig. 2A. Preoperative periapical radiograph of tooth #8 showing immature blunderbuss apex with associated periapical radiolucency (PARL). Fig. 2B. Periapical radiograph showing bioceramic (BC) putty in apical third of canal. Fig. 2C. Large-sized gutta-percha cone used to condense BC putty close to apex and as master cone to fill remainder of canal. Fig. 2D. Periapical radiograph after completion of obturation. Large overfill of gutta-percha past apex can be seen. Fig. 2E. Immediate postop after root-end surgery to remove overfilled gutta-percha. Fig. 2F. One-year recall showing almost complete healing of PARL.

The likely cause of the necrotic pulp was a worn-down dens evaginatus. The recommended treatment was root canal therapy, more specifically, apexification. After access preparation, bloody and purulent discharge was noted. To obtain working length, a large size 80k-file was placed in the canal to an estimated length and a radiograph taken.

The canal was irrigated with 3 ml of 5.25% sodium hypochlorite. The EndoActivator (Dentsply, Tulsa, OK) was used to sonically agitate the irrigant in the canal to ensure thorough disinfection. Light instrumentation with both rotaries and hand files was completed. The canal was dried with a surgical microsuction tip. CH (Ultracal XS, Ultradent Products Inc, South Jordan, UT) was used as an inter-visit medicament. The tooth was temporarily restored with intermediate restorative material (IRM).

The patient returned after four weeks for completion of treatment. She reported that all symptoms had subsided. Clinical examination revealed that the swelling had resolved. CH was removed from the canal with irrigation and activation with the EndoActivator. The canal was irrigated with a combination of 3 ml of 5.25% sodium hypochlorite and 3 ml of 17% EDTA (ethylene diamine tetra-acetic acid). The canal was dried with a surgical microsuction tip. Red, healthy-looking blood was noted

Associate to CEO

If you are interested in Practice ownership, please join to learn more about steps to take when

Topics to be discussed

• Purchase an existing practice vs.

• Starting up a new practice

• How to financially prepare yourself

• Build your team of professionals

• Financing options

• Develop an action plan

Webinar information

Thursday, September 4, 2025, 6:00 pm - 7:30 pm

Featured speakers

Elizabeth Martinez S.FL - Practice Project and Real Estate 786-778-8906 emartinez18@bofa.com

Email dg.cmevent@bofa.com or Scan QR code:

1

Nilesh Patel N.FL - Practice Project and Real Estate 850-443-6944 nileshpatel@bofa.com

Chad Clark FL - Practice Acquisition and Real Estate 813-599-4978

chad.clark@bofa.com

dental radiography

Case 3. Fig. 3A. Preoperative periapical radiograph of tooth #20 showing immature blunderbuss apex with associated periapical radiolucency (PARL). Caries can be seen on distal aspect. Fig. 3B. Gutta-percha point used to trace fistula to apex of tooth #20. Fig.3C. Periapical radiograph after visit one. Calcium hydroxide (CH) was placed in canal and tooth was temporized with IRM. Fig. 3D. Four-month recall. Sinus tract healed, and periapical radiolucency was significantly smaller. Root appeared to have grown in both length and width. CH can still be seen in canal. Fig. 3E. Clinical photo showing BC putty in direct contact with blood clot scaffold. Fig. 3F. 13-month recall after completion of pulp regeneration. Tooth was restored previously with composite. Almost complete healing of PARL was noted, as well as increased thickness in both length and width of root.

almost complete healing of the periapical radiolucency. A significant increase in root length and thickness was noted.

Case 2: Apexification (Fig. 2)

A 12-year-old boy presented with his dad with a chief complaint of mild discomfort in the upper anterior maxilla. The patient reported a history of trauma around three years ago in which teeth #7 and #8 were luxated while playing in the park. For a couple of weeks after the trauma, the teeth were loose but firmed up over time and were generally asymptomatic. Only recently did he report experiencing some minor discomfort in the area.

Clinical exam revealed mild discomfort to percussion on tooth #8, while teeth #7, #9 and #10 tested within normal limits. Teeth #7 and #8 did not respond to vitality testing, while teeth #9 and #10 did. A fistula was present on the buccal aspect, which traced to the apex of tooth #8. Radiograph exam revealed the root of tooth #8 to be immature with a blunderbuss apex and a large periapical radiolucency. The radiolucency extended to the apex of tooth #7. The root canal space of tooth #7 appeared very calcified and did not respond to vitality testing.

in the apical third of the canal. EndoSequence BC putty (Brasseler USA, Savannah, GA) was used as the material of choice due to its biocompatibility. Care was taken to make sure it was placed 5 mm from the apex. Multiple radiographs were needed to confirm proper placement of the putty.

Once the BC putty was in place for 15 minutes, to allow it to set, the canal was etched, rinsed, dried, and a dual-cure composite placed deep into the canal and allowed to self-cure for about five minutes. The access opening was restored with regular composite (Dentsply Sirona, Charlotte, NC), and the patient was put on a recall schedule to monitor healing.

At the one-year recall visit, the patient was completely asymptomatic, and radiographic examination revealed

As most of the lesion was attached to tooth #8, the plan was to treat #8 and monitor #7. A diagnosis of pulp necrosis with chronic apical abscess was made for tooth #8. Once the tooth was accessed, a necrotic pulp was confirmed. No drainage was noted from the canal. Most of the disinfection was carried out with irrigation rather than instrumentation due to the thin canal walls.

To obtain working length, a large size 80k-file was placed in the canal to an estimated length and a radiograph taken. The canal was irrigated with 3 ml of 5.25% sodium hypochlorite. The EndoActivator (Dentsply, Tulsa, OK) was used to sonically agitate the irrigant in the canal to achieve thorough disinfection. Light instrumentation with both rotaries and hand files was completed. The canal was dried with a surgical microsuction tip, and CH (Ultracal XS, Ultradent Products Inc, South Jordan, UT) was used as an inter-visit medicament. The tooth was temporarily restored with IRM.

A B C D

Case 4. Fig. 4A. Preoperative periapical radiograph of teeth #7 and #8 showing immature apex for tooth #8 with associated periapical radiolucency (PARL). Apical inflammatory root resorption can be seen on tooth #7. Composite restoration can be seen on tooth #8 extending proximal to pulp. Fig. 4B. Mid-treatment periapical radiograph of teeth #7 and #8. Split dam isolation was employed so no clamp is noted on radiograph. Tooth #7 has been obturated with gutta-percha and BC sealer. For tooth #8, BC putty can be seen close to apex but not at apex. Fig. 4C. Plugger can be seen condensing BC putty towards apex. Fig. 4D. Eight-month recall periapical radiograph of teeth #7 and #8. For tooth #8, note BC putty at apex and rest of canal filled with dual-cure composite. Significant healing of PARL can be seen.

The patient returned after one month for completion of treatment. He reported that all symptoms had subsided. The fistula had healed. CH was removed from the canal with irrigation and activation with the EndoActivator. The canal was irrigated with a combination of 3 ml of 5.25% sodium hypochlorite and 3 ml of 17% EDTA. The canal was dried with a surgical microsuction tip. EndoSequence BC putty (Brasseler USA, Savannah, GA) was used as the material of choice due to its biocompatibility. Care was taken to make sure it was placed as close to the apex as possible. Multiple radiographs were needed to confirm proper placement of the putty.

The BC putty was left in place at the apex for 15 minutes. The plan was to use a size 100 gutta-percha as a master point with a coating of BC sealer (Brasseler, USA), which would be heated and condensed lightly up against the apical BC putty. During the condensing process, the gutta-percha point was pushed past the apex, likely due to the blunderbuss apex with no apical stop. The tooth was temporarily restored with IRM. In retrospect, a modified regeneration approach would have been more appropriate.

When the patient returned for the re-evaluation visit, he was generally asymptomatic but with some slight apical tenderness above tooth #8. The access was restored with

composite, and a surgical flap was made to remove the excess gutta-percha and smooth out the apex. No bone graft or membrane was used. The patient returned for a one-year recall. The radiographic exam revealed almost complete healing of the periapical radiolucency. The lesion that had at one point encompassed both teeth #7 and #8, now had almost completely healed. No further treatment was necessary.

Case 3: Pulp Regeneration (Fig. 3)

A 9-year-old girl presented with her mom for endodontic treatment for tooth #20. The patient was generally asymptomatic but reported a “bubble” on her gums. A gutta-percha point was used to trace the fistula on the buccal aspect to the apex of tooth #20. Radiographically, the apex was blunderbuss with a periapical radiolucency. The likely cause was caries, noted on the distal aspect extending proximal to the pulp.

Clinically, the tooth was negative to percussion, palpation and vitality testing. A diagnosis of pulp necrosis with chronic apical abscess was made. Treatment options were discussed with the patient and her parents. The planned treatment was pulp regeneration, in hopes of having further root growth.

Managing immature necrotic teeth has always posed challenges because of the unpredictable nature of treating roots with wide open apices that lack an apical stop.

Local anesthesia was administered, and the tooth isolated with a rubber dam. The caries was excavated and the pulp chamber accessed. After working length was confirmed radiographically, the canal was irrigated with 3 ml of 5.25% sodium hypochlorite. The EndoActivator (Dentsply, Tulsa, OK) was used to sonically agitate the irrigant in the canal to achieve thorough disinfection. Light instrumentation with both rotaries and hand files was completed. The canal was dried with a surgical microsuction tip, and CH (Ultracal XS, Ultradent Products Inc, South Jordan, UT) was used as an inter-visit medicament. The tooth was temporarily restored with IRM.

The patient missed a couple of appointments in the interim and was seen only after four months. At that time, the sinus tract healed, and the periapical radiolucency was significantly smaller. The root also looked to have grown in both length and width.

At the second visit, CH was removed from the canal with irrigation and activation with the EndoActivator. The canal was irrigated with a combination of 3 ml of 5.25% sodium hypochlorite and 3 ml of 17% EDTA. A size 20k-file was used to over-instrument the canal enough to trigger bleeding. The blood was allowed to reach close to the CEJ. BC putty was lightly condensed against the blood clot using a plugger and then allowed to set for about 15 minutes. A definitive composite restoration was placed.

At the 13-month recall from when the treatment was initiated, radiographic exam showed almost complete healing of the periapical radiolucency and continued root growth. The tooth was healthy and fully functional.

Case 4: Apexification (Fig. 4)

A 24-year-old male presented with a chief complaint of pain in the upper anterior maxilla. The patient reported a history of trauma more than 10 years ago in which teeth #7 and #8 were luxated while playing sports. Tooth #8 had a crown fracture and was restored with a composite. The patient reported that after the trauma, he experienced occasional discomfort in the area but not enough for him to present to the dentist for evaluation. More recently, the pain had worsened.

The clinical exam revealed mild discomfort to percussion on teeth #7 and #8. Neither tooth responded to vitality testing, while teeth #6, #9 and #10 did. Radiograph exam revealed the root of tooth #8 to be immature, with an open apex and a large periapical radiolucency. The radiolucency extended to the apex of tooth #7. Apical inflammatory root resorption was noted on tooth #7. A diagnosis of pulp necrosis with symptomatic apical periodontitis was made for both teeth #7 and #8.

Once the teeth were accessed, necrotic pulps were confirmed. No drainage was noted from the canals. Conventional endodontic treatment was performed for tooth #7. Most of the disinfection for tooth #8 was carried out with irrigation rather than instrumentation due to the thin canal walls and open apex. To obtain working length, a size 35k-file was placed in the canal to an estimated length and a radiograph taken.

The canal was irrigated with 3 ml of 5.25% sodium hypochlorite. The EndoActivator (Dentsply, Tulsa, OK) was used to sonically agitate the irrigant in the canal to ensure thorough disinfection. Light instrumentation with

dental radiography

4. Fig. 4E. Preoperative CBCT sagittal scan slice of tooth

Note the open apex and PARL. Fig. 4F. Preoperative CBCT coronal scan slice of tooth 8. Note open apex, PARL and buccal bone fenestration. Fig. 4G. Eight-month recall coronal scan slice. Note significant healing of PARL and regeneration of buccal plate. Fig. 4H. Eight-month recall sagittal scan slice. Note significant healing of PARL.

both rotaries and hand files was completed. The canal was dried with a surgical microsuction tip, and CH (Ultracal XS, Ultradent Products Inc, South Jordan, UT) was used as an inter-visit medicament. The tooth was temporarily restored with IRM.

The patient returned after one month for completion of treatment. He reported that all symptoms had subsided. CH was removed from the canals with irrigation and activation with the EndoActivator. The canal was irrigated with a combination of 3 ml of 5.25% sodium hypochlorite and 3 ml of 17% EDTA. The canal was dried with a surgical microsuction tip. EndoSequence BC putty (Brasseler USA, Savannah, GA) was used as the material of choice due to its biocompatibility. Care was taken to make sure it was placed as close to the apex as possible. Multiple radiographs were needed to confirm proper placement of the putty. The putty was slowly condensed to the apex with a plugger. Once it was confirmed that the putty was set at the apex, the remaining canal space and access was restored with a dual-cure composite.

At the eight-month recall, radiographic exam showed significant healing of the periapical radiolucency around both teeth #7 and #8. The teeth were healthy and fully functional.

Conclusion

Treating an immature permanent tooth can be both an endodontic and restorative challenge. In the past, apexification was the treatment of choice for an immature and necrotic tooth.

More recently, pulp regeneration has been discussed as an alternative treatment modality, the advantage being a shorter treatment time and continued root growth. A modified regeneration approach, where the coronal root structure is reinforced with restorative materials, has the benefit of adding strength to an already thin and weakened coronal root structure while also allowing continued root growth at the apical third.

References Available Upon Request

Joseph C. Stern, D.D.S., is director of endodontics and clinical assistant professor of dental medicine at Touro College of Dental Medicine at New York Medical College, Hawthorne, NY. A diplomate of the American Board of Endodontics, he is in private practice in Clifton, NJ. Queries about this article can be sent to Dr. Stern at Joseph.stern18@touro.edu.

Reprint from New York Dental Association.

Case
#8.

The 2025 Florida Dental Convention (FDC), titled “Polish Your Perspective,” took place June 19 to 21 at the Gaylord Palms Resort & Convention Center in Orlando — what an incredible event it was! More than 8,650 dental professionals, including more than 1,370 Florida Dental Association (FDA) members, came together from throughout Florida and beyond to sharpen their skills, explore cutting-edge innovations and make meaningful connections.

This year’s FDC featured more than 150 dynamic continuing education (CE) courses, including lectures, hands-on workshops and mini-residencies for each dental team member. From The Pankey Institute’s two-day occlusion program to Botox, cone beam computed tomography technology, laser dentistry, laminate veneers and more, there was something for everyone. Attendees could earn up to 20 CE hours and even check off the new mandatory fingerprinting requirement for license renewal, all in one place.

The Exhibit Hall was buzzing with excitement, packed with more than 350 top dental vendors showcasing the latest tools, tech and trends. Dental team members and non-members could use free Exhibit Hall Passes to make connections at FDC.

True to the FDC motto, “Come for the CE, Stay for the Fun tm,” the good times didn’t stop! Thursday kicked off with a Puppy Break and Welcome Cocktail Reception in the Exhibit Hall, followed by the return of the crowd-favorite Dueling Pianos party. On Friday, the Florida Dental Association (FDA) honored your colleagues at the FDA Awards Luncheon, celebrating Dentist of the Year winner Dr. Bethany Douglas and the J. Leon Schwartz Lifetime Service Award winner Dr. Gerald Bird. That evening, the Big Easy Bash brought a taste of New Orleans flair and a whole lot of family-friendly fun.

Mark your calendar for June 25–27 and get ready for FDC2026: “Plug In. Amplify. Rock Your Practice!”

The FDA will be back at the Gaylord Palms with world-class CE, a packed Exhibit Hall and plenty of fun for you and your team. FDC2026 will continue to offer free registration to FDA members, and the full course lineup will be available starting in October 2025. Registration opens in March 2026 at floridadentalconvention.com.

We can’t wait to rock with you in 2026! #FDCYouSoon.

Donated Dental Services Volunteer Provides Hope for Tampa Women with Kidney Disease

For Debbie, 70, the basic need to live independently and receive dental care was strained by the burden of health issues and financial stress. Sadly, Debbie’s numerous medical problems caused her to completely exhaust all her savings, leaving nothing left for the essential dental treatment she so desperately needed until Dental Lifeline Network stepped in to help.

A Tampa resident who lives alone, Debbie struggles with rheumatoid arthritis, osteopenia, multiple orthopedic problems due to fractures in both of her legs and has a colostomy bag due to a ruptured appendix. Battling

polycystic kidney disease led to Debbie needing two kidney transplants, involving years of waiting and subsequent medical care for each. Post-surgery, Debbie has been diagnosed with Type II Diabetes and has developed eye problems, forcing her to use a cane or walker to get around.

Compounding these challenges, the ongoing medications required for Debbie’s treatments took a toll on her oral health, with a missing front tooth and underlying tooth decay.

Despite dedicating more than 40 years of her career as an insurance administrator for multiple McDonald’s franchises, Debbie could not afford the dental care she desperately needed. Unfortunately, Debbie’s kidney surgeries and ongoing medical needs completely depleted her savings and prevented her from getting the care necessary to restore her oral health.

DDS Volunteers Make a Difference, No Matter the Weather

Thankfully, the opportunity to get treatment through Dental Lifeline Network (DLN) • Florida’s Donated Dental Services (DDS) program changed Debbie’s life. General dentist and DLN National Board of Directors Secretary Dr. Terry Buckenheimer, who had previously treated Debbie as a patient and understood her challenges, encouraged her to apply for the DDS program. Although he was about to retire, Dr. Buckenheimer offered his volunteer services to work with her.

From left to right: Dr. Buckenheimer, Debbie, dental assistant Yeiced and Eric Johnson from Smile Dezign.
Don’t wait! Sign up to be a volunteer by scanning the QR code or visit WhyIDental.org and you can transform the lives of individuals in need of life-saving dental care.

Undeterred by hurricane season and the challenges of running his office on a generator in the aftermath of Hurricane Milton, Dr. Buckenheimer prioritized Debbie’s appointments and ensured she received the necessary treatment and timely care. Working with a volunteer lab, Smile Dezign, Dr. Buckenheimer provided Debbie with two three-unit bridges and a night guard, resulting in thousands of dollars in donated treatment that restored Debbie’s oral health.

“I was able to give my care to this one special patient and bring her back to oral health, and I was able to see why I had loved dentistry for 45 years when I could care for Debbie in this meaningful way,” reflected Dr. Buckenheimer. “All my staff were thrilled that we were able to do this for Debbie, who never complained about her unending medical problems, and our lab, who donated her services, was overjoyed with the outcome. I have been truly blessed throughout my career and this experience was the icing on the cake.”

Thanks to her treatment, Debbie can now go out and enjoy her retirement, something she says wouldn’t have been possible with her previous missing tooth and underlying issues.

“The DDS program is a blessing to those in need, and it’s absolutely wonderful,” said Debbie. “In the last six years, I have been quite ill, and the program came at a time when I really needed help. I’m very grateful for what they did for me — and now, I’ve made it to age 70, which I never thought I would.”

With DLN, You Can Change the Lives of Individuals Like Debbie

Dr. Buckenheimer’s final DDS case before retirement exemplifies the impact that you can make as a DDS volun-

teer. By volunteering with DLN, dental professionals like you can directly transform the lives of individuals in need from your own office.

Currently, hundreds of Florida DDS patients like Debbie are waiting for care. Whether you’re in a dental office or a lab, DLN makes it easy for you to volunteer and give back.

“I volunteer for the DDS program because there’s immense value in helping the less fortunate,” said Eric Johnson, Smile Dezign Lab. “Volunteering with DLN is an easy way to use your expertise to help others and experience the joy of giving back.”

Are you looking to connect and collaborate with Florida DDS volunteers? Join DLN’s new Facebook group, DLN • Florida Volunteers! Whether you are a current volunteer or interested in learning more, this group allows you:

• Connect with peers

• Share experiences

• Ask questions and get support

• Stay updated on the DDS program in Florida

• Build a stronger community

• Celebrate impact

Take advantage of this opportunity to connect and engage with DDS volunteers in the DLN • Florida Volunteers Facebook Group. See you there!

diagnostic discussion

Diagnostic Quiz

Case History:

A 36-year-old female was referred to the University of Florida (UF) Oral and Maxillofacial Surgery Resident Clinic for evaluation of a mixed-density, expansile lesion of the anterior mandible of unknown duration. The patient experienced mild discomfort, accompanied by slight swelling in the submental region. Along with the significant buccolingual expansion, several teeth were displaced, spanning the entirety of the lesion. The patient’s medical history was non-contributory. An incisional intrabony biopsy showed multiple fragments of both soft and hard tissues. The lesion was submitted to the UF College of Dentistry Oral and Maxillofacial Biopsy Service for microscopic evaluation.

Fig. 1: Panoramic radiograph showing a diffuse mixed radiopaque and radiolucent lesion in the anterior mandible.

Question:

What is the most likely diagnosis based on the radiographic image and accompanying findings?

A. Cemento-osseous dysplasia

B. Fibrous dysplasia

C. Calcifying epithelial odontogenic tumor (CEOT)

D. Osteosarcoma

E. Cemento-ossifying fibroma

Fig. 2: Axial view from CBCT demonstrating significant buccal and lingual expansion of the anterior mandible with areas of calcification within a large radiolucency.

diagnostic discussion

Free Online Continuing Education (CE) for FDA Members!

FDA members can earn up to six hours of general CE by reading the Diagnostic Discussion column and taking the online quiz, available 24 hours a day, at www.floridadental.org/online-ce.

A. Cemento-osseous Dysplasia

Incorrect. This condition is characterized by normal bone being replaced by a proliferation of fibrous connective tissue that contains both abnormal bone and cementoid material. Cemento-osseous dysplasia (COD) can be classified as focal, typically affecting a single site in the posterior mandible; periapical, involving the apices of the teeth found in the anterior mandible; or florid, affecting more than one quadrant of the jaw, usually those of the posterior regions. COD tends to affect middle-aged adults with a female predilection. Clinically, the patient is generally asymptomatic, and the lesion is often found incidentally on radiographic exams. Radiographically, COD can exhibit a spectrum of radiolucent and radiopaque appearances. Earlier lesions appear as well-defined radiolucencies, though over time, a mixed density pattern is appreciated. More mature lesions may show a radiopaque focus surrounded by a thin, radiolucent peripheral rim, displaying a targetoid appearance. The associated teeth are usually vital. Microscopically, fibrovascular connective tissue exhibits fragments and trabeculae of bone, as well as cementoid particles. Over time, the osteoid and cementum material will become thicker and more curvilinear in shape, often fusing to resemble “ginger root” patterns. While this is a reasonable differential for this case, the pronounced buccolingual expansion observed on the CBCT contrasts with radiographic changes seen in COD, which typically do not produce significant expansion. Monitoring is often the preferred management approach, as surgical manipulation can lead to necrosis of the affected tissue.

B. Fibrous Dysplasia

Incorrect. Fibrous dysplasia (FD) is a benign developmental fibro-osseous lesion characterized by normal bone being replaced by a proliferation of cellular fibrous

connective tissue and irregular bony trabeculae. It is associated with activating mutations in GNAS, which plays a key role in cell signaling pathways. Clinically, FD can involve one bone, termed monostotic fibrous dysplasia (MFD), or multiple bones, termed polyostotic fibrous dysplasia (PFD). Gnathic MFD is commonly seen in the posterior maxilla, with an equal gender predilection and an age range of 24-37 years. The patient may experience painless, unilateral, slow growth and swelling of the site, due to buccolingual expansion and cortical thinning, along with displacement of adjacent teeth and anatomical structures. In PFD, there is involvement of two or more bones, often with cutaneous and endocrine abnormalities. Patients with PFD are usually diagnosed before the age of ten, with a female predilection. Maxillofacial involvement in these patients can manifest as malocclusion, facial asymmetry and sinonasal congestion. Radiographic examination typically reveals a characteristic “ground-glass” pattern of opacification. However, mixed radiolucent-radiopaque lesions can also be observed. While fibrous dysplasia is a good differential diagnosis for the current case, the radiographic and microscopic features are more consistent with another entity. Microscopically, FD shows immature woven bone trabeculae in curvilinear, elongated shapes, surrounded by a cellular fibrous stroma. Organized lamellar bone may be observed in later stages. Treatment often involves monitoring the lesion until it stabilizes. Surgical management may be required for patients who have PFD, extensive and aggressive lesions, and/or refractory lesions. These lesions have a very low chance of malignant transformation.

C. Calcifying Epithelial Odontogenic Tumor

Incorrect. A calcifying epithelial odontogenic tumor (CEOT) is a rare benign odontogenic tumor. These lesions are usually found in middle-aged adults with no

gender predilection. Most lesions are observed in the posterior mandible. Clinically, CEOT presents itself as a painless, slow-growing swelling. Radiographically, this lesion usually appears as an unilocular or multilocular radiolucency. A mixed radiolucent-radiopaque lesion is sometimes observed. It may also present as a pericoronal lesion around an impacted tooth. Microscopically, CEOT consists of many islands and sheets of polyhedral-shaped epithelial cells embedded within a fibrous connective tissue. Throughout the lesion, amorphous eosinophilic amyloid material and concentric Liesegang ring calcifications are observed. While a CEOT is a plausible differential for this case, the location and significant calcified component suggest an alternate diagnosis. Treatment of these lesions involves conservative local resection to minimize the potential for recurrence. CEOTs generally have a good prognosis, with a recurrence rate of about 15% and a rare chance of malignant transformation.

D. Osteosarcoma

Incorrect. Osteosarcomas are characterized by malignant production of immature bone and/or osteoid material. They are the most common primary malignant tumors of bone. They can be classified as central, arising from the medullary cavity surface, near the cortical region, or extraskeletal, arising within soft tissue, with the majority occurring as central. Jaw lesions have a peak prevalence in the third through fifth decade with no gender predilection. This contrasts with osteosarcomas of the long bones, which tend to be found a decade younger and most frequently in the distal femur and proximal tibia, with a male predilection. The most common location in the jaws is the mandible, arising in the body, angle, symphysis and ramus. The most common symptoms include swelling and pain, with the possibility of tooth mobility and paresthesia. Radiographically, the lesion will present as a mixed radiolucent and radiopaque area with a “moth-eaten” appearance, often accompanied by distinct spiking root resorption.

In some cases, a classic “sunburst” appearance may be seen, which is caused by bone production on the surface of the lesion. Symmetrical widening of the periodontal ligament space and sclerotic changes may be observed in early osteosarcoma. While osteosarcoma is a good differential in this case, the current case presents as an expan-

sile lesion without evidence of destruction. This feature favors a benign process over a malignancy. Microscopically, malignant mesenchymal cells produce aberrant osteoid and occasional cartilage. The treatment of choice for osteosarcoma is wide surgical resection, with possible chemotherapy or radiotherapy. Osteosarcoma of the jaws tends to have a lower metastasis rate and a better prognosis than osteosarcoma of the long bones, with an approximately 53% five year overall survival.

E. Cemento-ossifying Fibroma

Correct! This is a benign fibro-osseous neoplasm that has significant potential for expansion. Cemento-ossifying fibroma affects a broad age range, with a peak prevalence in the third and fourth decades of life and a female predilection. Most cases occur in the premolar-molar region of the mandible. While these lesions are usually asymptomatic, larger lesions can cause pain, tooth mobility and/or paresthesia. Smaller lesions are often found incidentally on radiographic examination, while larger lesions can induce jaw swelling and facial asymmetry. Cemento-ossifying fibroma usually shows well-defined borders on radiographs. The lesion shows a variable mixed density appearance, depending on the degree of calcification. Large mandibular lesions can demonstrate bowing of the inferior cortex (Fig. 1 see page 71). Prominent buccolingual expansion is also common (Fig. 2 see page 71). The adjacent teeth may show root divergence and/or root resorption. Maxillary lesions have been shown to displace the sinus floor. Microscopically, large sections of cellular fibrous connective tissue with haphazardly arranged bony trabeculae and cementoid spherules are observed (Figs. 3 and 4 see page 74). The bony trabeculae often show peripheral osteoblastic rimming. While histologically similar to cemento-osseous dysplasia, ossifying fibroma generally shows increased fibrous tissue and appears more well-circumscribed. Cemento-ossifying fibroma usually separates easily during the biopsy, frequently producing a few large and discrete masses.

In contrast, cemento-osseous dysplasia often appears gritty upon biopsy and is curetted into small pieces. Treatment of cemento-ossifying fibroma involves enucleation and curettage of the tumor mass. Larger lesions may need larger surgical resection as well as bone grafting. These lesions tend to exhibit a recurrence rate

diagnostic discussion

Fig. 3: Histopathologic examination reveals a prominent fibrous connective tissue stroma with bony trabeculae and cementoid-like particles (H&E, 1.3x).

Fig. 4: Histopathologic examination shows a highly cellular fibrous connective tissue stroma with varying sizes of bony trabeculae (blue arrows) and small droplets of cementum-like spherules (red arrows) (H&E, 10X).

of about 10%, with a good prognosis. Malignant transformation is extraordinarily rare.

Diagnostic Discussion is contributed by University of Florida College of Dentistry professors and Drs. Indraneel Bhattacharyya, Nadim Islam and Sumita Sam who provide insight and feedback on common, important new and challenging oral diseases.

The dental professors operate a large, multi-state biopsy service. The column’s case studies originate from the more than 16,000 specimens the service receives annually from all over the United States.

Clinicians are invited to submit cases from their practices. Cases may be used in the “Diagnostic Discussion,” with credit given to the submitter.

Conflict of Interest Disclosure: None reported for Drs. Islam, Bhattacharyya and Sam.

*Resident in Oral & Maxillofacial Pathology

Drs. Islam, Bhattacharyya and Sam can be reached at oralpath@dental.ufl.edu.

The Florida Dental Association is an American Dental Association (ADA) CERP Recognized Provider. ADA CERP is a service of the ADA to assist dental professionals in identifying quality providers of continuing dental education. ADA CERP does not approve or endorse individual courses or instructors, nor does it imply acceptance of credit hours by boards of dentistry. Concerns or complaints about a continuing education provider may be directed to the provider or to ADA CERP at ada.org/goto/cerp.

References:

Kaur T, Dhawan A, Bhullar RS, Gupta S. Cemento-Ossifying Fibroma in Maxillofacial Region: A Series of 16 Cases. J Maxillofac Oral Surg. 2021;20(2):240-245. doi:10.1007/s12663-019-01304-y.

Nam I, Ryu J, Shin SH, Kim YD, Lee JY. Cemento-osseous dysplasia: clinical presentation and symptoms. J Korean Assoc Oral Maxillofac Surg. 2022;48(2):79-84. doi:10.5125/jkaoms.2022.48.2.79.

Neville, B.W., Damm, D.D., Allen, C.M. and Chi, A.C. (2024) Oral & Maxillofacial Pathology, 5th Edition, WB Saunders, Elsevier, Missouri, 618 – 653, 720 – 722.

Singh N, Sahai S, Singh S, Singh S. Calcifying epithelial odontogenic tumor (Pindborg tumor). Natl J Maxillofac Surg. 2011;2(2):225-227. doi:10.4103/0975-5950.94489.

Dr. Bhattacharyya
Dr. Islam
Dr. Sam

Starting Jan. 1, 2025, FDA members have free, confidential access to AllOne Health‘s counseling and work/life services.

The Florida Dental Association’s (FDA) Member Assistance Program (MAP) can help you reduce stress, improve mental health and make life easier by connecting you to the right information, resources and referrals.

All services are confidential and available to you and your household as an FDA member benefit. This includes access to short-term counseling and the wide range of services listed below:

Mental Health Sessions

Manage stress, anxiety and depression; resolve conflict, improve relationships and address personal issues. Choose from in-person sessions, video counseling or phone counseling.

Life Coaching

Reach personal and professional goals, manage life transitions, overcome obstacles, strengthen relationships and achieve greater balance.

Financial Consultation

Build financial wellness related to budgeting, buying a home, paying off debt, resolving general tax questions, preventing identity theft and saving for retirement or tuition.

Legal Referrals

Receive referrals for personal legal matters including estate planning, wills, real estate, bankruptcy, divorce, custody and more.

Work-Life Resources and Referrals

Obtain information and referrals when seeking childcare, adoption, special needs support, eldercare, housing, transportation, education and pet care.

Personal Assistant

Save time with referrals for travel and entertainment, professional services, cleaning services, home food delivery and managing everyday tasks.

Medical Advocacy

Get help navigating insurance, obtaining doctor referrals, securing medical equipment and planning for transitional care and discharge.

Member Portal

Access your benefits 24/7/365 through the member portal with online requests and chat options. Explore thousands of self-help tools and resources including articles, assessments, podcasts and resource locators.

career center

FDA’s Career Center

The FDA’s online Career Center allows you to conveniently browse, place, modify and pay for your ads online, 24 hours a day. Our intent is to provide our advertisers with increased flexibility and enhanced options to personalize and draw attention to your online classified ads!

Dentist. Monticciolo Family & Sedation Dentistry - Seminole.

Overview: Are you an experienced Florida General Dentist that is seeking a long-term, secure position? We are not a clinic or corporate DSO. We are a private dental group with offices in the greater Tampa, Florida area. We are currently expanding (adding two offices per year) and looking for dedicated, hardworking dentists with a focus on providing comprehensive patient care. Our offices are new, modern, digital practices with experienced staff and specialty care. You can enjoy a rewarding position with long-term stability. Compensation: First 3 months 30% of production. After 3 months, 30% of Collections. No lab bills or other costs to you. Unlimited earning potential. Benefits: Medical Coverage paid for by the practice. Malpractice Insurance paid for by the practice. Equity Ownership plan. 401K match. Requirements: Active, clear Florida license. Minimum 3 years' experience. Full-time position. Visit careers.floridadental.org/job/dentistseminole-florida-0283.

General Dentist - Winter Springs.

Practice: Sunrays Smiles Dental Care, Inc (Grand Opening Soon!) Job Type: Part- Time to Full-Time. A Ground-Floor Opportunity in Modern Dentistry. Are you ready to be part of something special from the very beginning? Sunrays Smiles Dental Care is a brand-new, state-of-the-art dental practice opening soon in the heart of Winter Springs, Florida. We are looking for a skilled and visionary General Dentist to be a foundational member of our team. This is a unique opportunity to help shape the culture, establish clinical excellence, and grow with a practice built on the latest technology and a commitment to unparalleled patient care. Job Summary. As our first General Dentist, you will be instrumental in building our patient base and establishing our reputation in the community. You will provide a full scope of dental services. The ideal candidate has an entrepreneurial spirit, a passion for clinical excellence, and the drive to create an exceptional patient experience from day one. Key Responsibilities. Perform comprehensive dental examinations and deliver a wide range of general dentistry services (restorative, cosmetic, preventative, etc.). Establish strong, lasting relationships with our first waves of patients. Help develop and implement clinical workflows and patient care protocols in a new practice setting. Act as a key leader in the practice, fostering a positive, collaborative, and patient-centric team culture. Educate patients on treatment options and preventative care, building

a practice centered on trust and transparency. Maintain meticulous patient records using our new practice management software. Actively contribute to the practice's growth and local marketing efforts. Qualifications and Skills. DDS or DMD degree from a CODA-accredited dental school. Active and unrestricted dental license in the state of Florida. Current DEA registration and CPR/BLS certification. Proven ability to perform high-quality general dentistry. An adaptable, self-motivated, and positive demeanor. Excellent communication skills and a passion for building a practice from the ground up. Comfort and proficiency with modern dental technology (e.g., digital X-rays, intraoral scanners, paperless charting). Prior experience in a private practice setting is a plus, but new graduates with strong leadership potential are encouraged to apply. What We Offer: The Founder's Advantage. Shape the Future: Have a direct impact on the practice's philosophy, team, and patient experience. Competitive Compensation: We offer an attractive compensation package with a guaranteed salary and significant long-term earning potential as the practice grows. Professional Growth: Unmatched opportunity for growth into a leadership role as the practice expands. Dedicated Support: Be supported by a dedicated team focused on making our launch and continued operation a success. How to Apply. If you are a forward-thinking dentist excited by the challenge and reward of building a premier dental practice, we want to talk to you.Please submit your resume and a cover letter to Dental@ sunrayssmiles.org, with the subject line " Dentist Application." In your cover letter, please tell us what excites you about this ground-floor opportunity. Sunrays Smiles Dental Care is an Equal Opportunity Employer. Visit careers.florida dental.org/job/general-dentistrywinter-springs-florida-0282

Full-Time General Dentist –Jacksonville (Westside). Privately-Owned Practice | $150,000 - $300,000 annually | Work-Life Balance. Job Type: Full-time (Parttime considered). Tired of Corporate Dentistry? Find Your Perfect Fit in Private Practice! We’re a privately-owned, well-established dental office on the Westside of Jacksonville looking for a General Dentist to join our team. If you’re ready to ditch the corporate quotas and focus on quality care, this is the opportunity you’ve been waiting for. Why You’ll Love Working With Us: Flexible Schedule – Most dentists work 3–4 days per week; Competitive Pay – Earn $150,000 - $300,000, annually; No Administrative Hassles – We handle

overhead and operations; Supportive Team – Join 3 productive dentists, hygienists, and a rockstar front office; Professional Growth – Work alongside experienced peers who collaborate and mentor; Clinical Autonomy – Make treatment decisions without corporate restrictions; Modern Technology & Tools Include: Digital x-rays + Conebeam, CEREC units for same-day crowns, Endodontic microscope, On-site lab technician, Eaglesoft practice management software. What We’re Looking For: DMD or DDS with a valid Florida dental license; Strong clinical skills and patient-focused approach; Team player with excellent communication skills; Eager to grow, learn new techniques, and contribute to a positive work culture. Benefits: High earning potential, Work-life balance, Clinical freedom, Mentorship and support, Longterm growth opportunity. Apply Today! If you’re ready for a fresh start in a supportive, private practice environment, we’d love to meet you. Apply now and see why our team loves coming to work every day! Job Types: Full-time, Part-time Pay: $150,000.00 - $300,000.00 per year. Benefits: Paid time off. Schedule: No weekends. Supplemental Pay: Bonus opportunities. Visit careers. floridadental.org/job/general-dentistjacksonville-florida-0280

General Dentist, Pensacola. Older

Disabled Dentist needs help. This is a great opportunity for a long term future. Live and work where people go to vacation at the world’s beaches best. You may call or text to 850.516.8192. Visit careers.floridadental.org/job/generaldentist-pensecola-florida-0278

Experienced General Dentist,

Jacksonville. We are a growing, 100% Fee-For-Service, North Florida dental organization focused on providing the highest quality comprehensive dental care for all patients. We have an immediate opening for a General Dentist or a Prosthodontist who is focused on providing the highest quality dental care and embodies our Super GP practice model. Dentists with Moderate Sedation (IV sedation) or Conscious Sedation permit are encouraged to apply. Our minimum annual earnings for an Associate Doctor are $439k. ALL of our offices are located in Jacksonville and the surrounding areas in North Florida. Relocation or Commuting to the Greater Jacksonville Area is required. Our Dentists averaged $782K/year in pre-tax income in 2024. Responsibilities : Strong Implant dentistry experience (single unit and

Visit the FDA’s Career Center at careers.floridadental.org.

Post an ad on the FDA Career Center and it will be published in our journal, Today’s FDA, at no additional cost. Today’s FDA is bimonthly, therefore, the basic text of all active ads will be extracted from the Career Center on roughly the 5th of every other month (e.g., Jan. 5 for the Jan/Feb issue, March 5 for the March/April issue. etc.). Please note: Ads for the Nov/Dec issue must be placed no later than Nov. 1. We reserve the right to edit excessively long entries.

full-mouth restorations) and/or comprehensive endo skills are highly desired. Must be able to provide comprehensive diagnoses and treatment planning. Educate each patient and provide comprehensive treatment options that address chief complaints and comprehensive treatment needs. Provide quality patient care that is both ethical and productive. Must be empathetic and dedicated to the highest levels of customer service. Cross collaborates with other experienced teams of professionals in the organization. Must have a strong desire for continuous professional growth especially in the areas of digital dentistry, implant dentistry and sedation dentistry. Credentials: 3+ years’ experience as a licensed practicing dentist; Degree from an Accredited School of Dentistry; Current, unrestricted Florida license; Valid DEA#; Moderate Sedation (conscious sedation) permit preferred; Current BLS or ACLS and PALS if performing sedation services. Provider Support: Highly trained staff to include hygienists, dental assistants, call center individuals and treatment coordinators; Ongoing Continuing Education opportunities within and outside the organization; Fee for Service Organization (NO HMO, DHMO, Medicaid, Out-of-network PPO); In-house laboratory; Centralized support for non-clinical functions; Established patient base with continuous growth; In-house advanced dentistry training and development. All offers of employment are contingent upon successful completion of a background check and drug testing. Please note medical marijuana use is not permitted by the company. We are a drug free workplace. It is our policy to prohibit smoking and vaping on all company premises to provide a safe and healthy work environment for all employees. Job Types: Full-time, Part-time Pay: $439,000 - $1,200,000 per year. Benefits: 401(k); 401(k) matching; Employee assistance program; Employee discount; Health insurance; Health savings account; Life insurance; Vision insurance. License/Certification: Florida Dental License (Required). Work Location: In person. Visit careers.floridadental.org/job/ experienced-general-dentist-jacksonvilleflorida-0277

Interim Services - can travel to any Florida. I will cover your practice so that production continues while you are out. Sick Leave, maternity leave, vacation or death. Experienced in covering general dentists, prostodontists, and pedodontists. Please call or text Robert Zoch, DDS, MAGD at 512-517-2826 or email: drzoch@yahoo.com. Visit careers.floridadental. org/job/interim-services-any-florida-0213.

General Dentist-Specializes in Children’s Dental Health, Orlando. Creating Healthy Smiles, ONE CHILD AT A TIME. Is this your mission too? We’d love to meet you if you’re an outgoing, positive, and self-motivated Pedodontist or a General Dentist passionate about providing high-quality, lifelong patient care! We are a small, private pediatric dental office with four offices in the Orlando area. Two board-certified Pediatric Dentists own and support us. We are currently seeking a full-time General Dentist or Pediatric Dentist to join our dedicated team. Why Join Our Team? Autonomy: Diagnose and treatment plan your cases with full autonomy, with access to support and guidance if needed. Excellent Compensation: Earn an outstanding income with a guaranteed salary. Focused Practice: Superior non-clinical administrative support, so you can focus on delivering exceptional clinical care to your patients. Our Ideal Candidate Will Have: A commitment to providing comprehensive pediatric dental care; A passion for helping children establish good oral health habits at an early age; A DMD or DDS from an accredited dental school; A valid state dental license (or in the process of obtaining one). We offer a competitive compensation package and are committed to supporting your professional and personal growth. Visit careers.floridadental.org/job/general-dentist-specializes-inorlando-florida-0274

Clinical Supervisor, Health Sciences – Dental Hygiene, Miami Dade College. Inspire Excellence. Lead with Purpose. Shape the Future of Dental Health. Miami Dade College (MDC) is seeking a highly skilled and dedicated Clinical Supervisor to oversee the operations of our On-Campus Dental Hygiene Clinic. This role is crucial to ensuring the delivery of high-quality patient care, maintaining clinical compliance, and providing a supportive learning environment for future dental professionals. Make an Impact -Lead the day-to-day clinical operations and foster a safe, efficient, and educational clinical experience for students and patients alike. Advance Your Career -Take your leadership in dentistry to the next level by managing clinical training, implementing quality improvement strategies, and supporting student and faculty success. Collaborate & Empower- Work closely with instructors and students while shaping clinical curricula, ensuring com-

pliance, and upholding accreditation standards. Stay Ahead -Engage with current research, participate in college-wide initiatives, and help shape institutional policies that drive innovation in dental health education. Key Responsibilities: Manage all clinical operations of the on-campus dental hygiene clinic; Supervise OSHA compliance and provide related clinical training for staff; Evaluate and review patient records, provide referrals, and manage clinical emergencies; Collaborate with instructors in guiding and evaluating students in clinical settings; Review health histories and coordinate care in alignment with risk management standards; Participate in the development and review of clinical curricula to meet accreditation standards; Serve on campus and college-wide committees during non-clinical hours; Implement College policies and procedures related to clinical operations. Qualifications to Empower and Inspire: Doctorate degree in General Dentistry and a current license to practice in the State of Florida. All degrees must be from a regionally accredited institution; Minimum of three (3) years of prior clinical experience; Malpractice insurance for the teaching environment must be current; Strong communication, leadership, and organizational skills; Knowledge of accreditation requirements, clinical risk management, and educational best practices; Technologically savvy with a working knowledge of instructional and administrative systems; Additional Information: Foreign transcript evaluations must be submitted from NACES or AICE approved agencies; MDC values diversity and is committed to fostering an inclusive environment for all. Be a Catalyst for Change in Dental Education. Join MDC and help mold the next generation of dental hygiene professionals—where your leadership creates a ripple effect across communities and careers. Visit careers.floridadental.org/job/ clinical-supervisor-health-sciencesmiami-florida-0271

our journal advertisers support

Advertising Information

For display advertising information, contact: Deirdre Rhodes at drhodes@floridadental.org or 800.877.9922, Ext. 7108.

For Career Center advertising information, contact: Jill Runyan at jrunyan@floridadental.org or 800.877.9922, Ext. 7113.

Publishing Information

Today’s FDA (ISSN 1048-5317/USPS 004-666) is published bimonthly by the Florida Dental Association (FDA), 545 John Knox Road, Ste. 200, Tallahassee, FL 32303. FDA membership dues include a complimentary subscription to Today’s FDA. Nonmember subscriptions are $150 per year; foreign, $188. Periodical postage paid at Tallahassee, FL and additional entry offices. Copyright 2025 Florida Dental Association. All rights reserved. Today’s FDA is a refereed publication. POSTMASTER: Please send form 3579 for returns and changes of address to Today’s FDA, 545 John Knox Road, Ste. 200, Tallahassee, FL 32303.

WHEN YOU SUPPORT OUR ADVERTISERS, PLEASE MENTION TODAY’S FDA!

Editorial and Advertising Policies

Editorial and advertising copy are carefully reviewed, but publication in this journal does not necessarily imply that the FDA endorses any products or services that are advertised, unless the advertisement specifically says so. Similarly, views and conclusions expressed in editorials, commentaries and/or news columns or articles that are published in the journal are those of the authors and not necessarily those of the editors, staff, officials, Board of Trustees or members of the FDA.

Editorial Contact Information

All Today’s FDA editorial correspondence should be sent to Dr. Hugh Wunderlich, Today’s FDA Editor, Florida Dental Association, 545 John Knox Road, Ste. 200, Tallahassee, FL 32303. FDA office numbers: 800.877.9922, 850.681.3629; fax: 850.561.0504; email address: fda@floridadental.org; website address: floridadental.org

FDA is a member publication of the American Association of Dental Editors.

FILLING THE GAPS:

SIMPLIFYING THE BUSINESS OF DENTISTRY EVENT

FRIDAY, SEPTEMBER 19 • 9 AM-4 PM

OPAL SOL • CLEARWATER BEACH

$189 FDA MEMBERS • $229 NON-MEMBERS

ENAH

Strengthen your skills beyond the dental chair! Elevate your dental practice, optimize your profits and learn from industry experts and fellow dentists. Both new and seasoned dentists will gain valuable insights into operating a successful practice!

TRANSFORM YOUR PRACTICE WITH STRATEGIES FOR SUCCESS!

ATTENDEES WILL DIVE DEEP INTO TOPICS ON:

• ADOPTING AI INTO YOUR PRACTICE

• MARKETING TACTICS

• INSURANCE TIPS

• WAGE & PAY COMPLIANCE

• FINANCIAL SUCCESS

• + MUCH MORE!

Now the Real Threat in Our Water: Dihydrogen Monoxide

We have heard it all before — concerned citizens demanding the removal of fluoride from drinking water. “It’s unnatural!” they cry. “It’s a chemical!” they wail. But while they are busy railing against fluoride, a far more sinister compound is slipping under the radar.

Brace yourselves: there is more dihydrogen monoxide (DHMO) in your water than fluoride. In fact, there’s so much of it, you’re literally swimming in it.

Yes, DHMO - two parts hydrogen, one part oxygen - sounds innocuous, but do not be fooled by the science-y disguise. This chemical is everywhere. It’s in your lakes, your rivers, your showers, your soup. It is IN the rain. Sometimes it IS the rain.

And what are the so-called “health experts” doing about it? Nothing. In fact, they are encouraging it. Every time a municipal water treatment plant opens a valve, gallons of this chemical flood into homes, schools, hospitals and baby bottles.

Let’s review the facts:

• Dihydrogen monoxide is the leading cause of drowning.

• It is a major component of acid rain.

• It corrodes metal, erodes the soil and contributes to rust in your pipes — and your car.

• Inhalation of even small amounts can be fatal. Go ahead, try breathing underwater.

It’s used in nuclear reactors, pesticides and high-performance cleaning solvents. It is present in every cancerous tumor. And yet we are okay putting it in our bodies?

Meanwhile, fluoride — proven to reduce tooth decay — is limited to about 0.7 parts per million. You know how much DHMO is in water? Upwards of 999,000 parts per million. That’s right: we are literally being saturated with this unregulated, tasteless, odorless menace.

Some apologists argue that DHMO is “essential for life,” that humans are “made of it,” and that we would “die without it.” Classic “Big Water” propaganda. If that’s true, why do we need to keep drinking more every day? Sounds like an addiction to me.

And it does not stop with your tap. DHMO is pumped into processed foods, soda, beer and yes — organic kale smoothies. There are even schools forcing children to consume it under the guise of “hydration.”

We demand transparency. Where are the warning labels? The child-proof caps? The hazmat suits? The govern-

SECTION 1 HAZARD IDENTIFICATION DANGER!

• major component of acid rain • contributes to soil erosion and structural corrosion • inhalation may cause sudden death (especially if submerged) • prolonged skin exposure may result in wrinkling • found in every biological hazard • detected in tumors of terminal cancer patients

SECTION 2 COMPOSITION/INFORMATION

INGREDIENTS

100% (purity): Contamination with minerals, pollutants or electrolytes possible

SECTION 3 PHYSICAL AND CHEMICAL PROPERTIES

Appearance: clear, colorless odorless liquid • Taste: varies; often considered "wet" • Boiling Point: 1000C (2120F) • Freezing Point: 00C (320F) • Density: 1 g/cm3 • Solubility: soluble in itself

Symptoms: frequent urination • excessive perspiration • elevated need to carry a reusable water bottle everywhere • crying

Contains Dihydrogen Monoxide may cause dampness • do not submerge face and inhale • keep away from gremlins and small campfires

ment may be proud to regulate the fluoride, but where is the oversight for the clear, slippery chemical tsunami flowing through our plumbing?

Until further studies are done on the long-term effects of chronic dihydrogen monoxide exposure, we must stand united. It’s time to demand water filters that filter out water. It is time to say, “No thanks, I’ll hydrate with dry crackers.”

So, the next time someone offers you a cool glass of water, think twice. Ask questions. Be informed. You might just be sipping a tall, refreshing glass of DHMO and you’ll never see it coming.

FDA Editor Dr. Hugh Wunderlich can be reached at hwunderlich@bot.floridadental.org

Turn static files into dynamic content formats.

Create a flipbook
Issuu converts static files into: digital portfolios, online yearbooks, online catalogs, digital photo albums and more. Sign up and create your flipbook.