40% DE LAS QUEJAS MÉDICAS NO SE CONCILIAN: CONAMED 10I10I23

Page 1

#Conversa Medir

Información que no caduca Diferentes tipos

Conoce las distintas clases de negligencia médica, en las cuales no solo se involucra el personal médico sino también el administrativo.

PÁG. 02

Dónde quejarte

Te decimos los medios y las instancias en donde puedes expresar una queja en caso de ser víctima de algun tipo de negligencia médica. PÁG. 02

40% DE LAS QUEJAS MÉDICAS NO SE CONCILIAN: CONAMED

La negligencia médica consiste en el acto u omisión del personal médico del que se deriva una lesión o la muerte del paciente. PÁG. 02

aldialogo.mx aldialogomx
con la misma vara
EVOLUCIONA COMO AD QUERÉTARO AL DIÁLOGO TU SALUD FOTO: ARMANDO VÁZQUEZ
aldialogomx aldialogo.mx 24O Máxima 15O Mínima CLIMA PARA HOY MARTES 10 DE OCTUBRE DE 2023 Año 20 No. 7242

Consultamos:

3

824 QUEJAS EN CONCILIACIÓN Y 51 EN PROCESO ARBITRAL

40% de las quejas médicas no se concilian: Conamed

Jessica Ignot

La Comisión Nacional de Arbitraje Médico recibe diariamente al menos dos quejas por malas prácticas médicas de las instituciones y personal de salud.

En 2022, fueron interpuestas 824 quejas para dar inicio al proceso arbitral y 51 están en proceso arbitral.

Mediante la queja médica se solicita la intervención de la Comisión Nacional de Arbitraje Médico y es una etapa conciliatoria, pero el 38.5 por ciento no se concilia.

Mientras que el proceso arbitral es una alternativa extrajudicial ante una presunta negligencia médica, la cual consiste en el acto u omisión del personal médico del que se deriva una lesión o la muerte del paciente.

Puede atribuirse a un descuido o a la ejecución errónea de la praxis médica.

Si el error vino de parte del médico y este lo cometió durante el tratamiento, se trata de mal praxis.

Si se trata de una práctica por parte del personal administrativo de la clínica, se habla de un error médico.

La queja puede ser de prestador de servicio de salud, ya sea de instituciones públicas, sociales o prestadores de servicios privados, con los cuales hayas tenido algún conflicto o irregularidad derivada de la actuación médica.

En todo por negligencia médica se debe determinar hasta qué grado fue imposible para el médico impedir que se causara el daño.

También se examina si este hizo cuanto estuvo a su alcance para cuidar la integridad del paciente.

Tipos de negligencia médica

De la negligencia médica suele derivarse dos conceptos que deben evaluarse para determinar el grado de responsabilidad del personal médico.

Mal praxis

 Praxis es una locución latina que significa práctica. La mal praxis del médico o personal sanitario se refiere a las acciones u omisiones indebidas por parte del profesional de la salud que pusieron en riesgo la vida o integridad física del paciente.

Error médico:

 El error médico se refiere a errores u omisiones causadas por los descuidos por parte del personal de la clínica.

Ejemplos de mala praxis

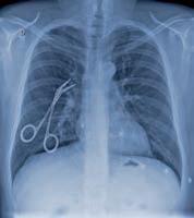
 Instrumentos de cirugía que han quedado en el interior del paciente una vez terminada la operación.

 Administración de un medicamento que no era tolerable por parte del organismo del paciente.

 Lesiones a órganos cercanos de la zona que fue sometida a una cirugía.

 Transfusión de sangre que no es compatible con su grupo sanguíneo.

 Infecciones derivadas de la falta de higiene por parte del personal médico que asistió durante la cirugía.

 Administración de sustancias que simulan ser medicamentos y engañar al paciente. Existen casos en los que el personal médico alega haber aplicado un medicamento vía intravenosa cuando solo fue suero fisiológico.

Tipos de mala praxis

 Negligencia: Falta de precauciones médicas. Se distingue por la falta de prudencia para evitar un riesgo.

 Impericia: El médico no tiene capacidad ni formación suficiente para tratar a un paciente, quien sufre daños o muere.

 Impericia temeraria: A pesar de que el médico no domina cierta estrategia, decide realizarla.

 Dolo: Acción u omisión con el propósito de causar daño.

¿Cómo puedes presentar una queja?

Las vías de recepción son presencial o por correo postal:

 Acude o envía al domicilio de Av. Marina Nacional #60, Piso 14, Col. Tacuba, Alc. Miguel Hidalgo, C.P. 11410, CDMX.

 Del Interior de la República ubica tu Estado en el directorio de Comisiones Estatales de Arbitraje Médico en: www.gob.mx/conamed/acciones-y-programas/comisiones-estatales-de-arbitraje-medico?idiom=es

Ejemplos de errores médicos

 Ausencia de personal capacitado para atender emergencias. Un caso demasiado frecuente es cuando una embarazada pierde la vida mientras espera ser atendida.

 Negativa sin justificación de parte de la recepción para otorgar una cita.

 Falta de disponibilidad de citas para la atención médica por mala administración. Este caso suele ser más persistente en los hospitales públicos.

 Coacción de la administración de un hospital de Gobierno para que el paciente otorgue algo a cambio del servicio. En algunos hospitales suele exigirse al paciente que done sangre si quiere ser atendido.

Procedimientos arbitrales en Conamed

51

quejas para el procedimiento arbitral fueron recibidas

39 se recibieron en la Conamed

12

fueron enviadas por las comisiones estatales de Arbitraje Médico

10

quejas ya se tenían en proceso de arbitraje

41 fueron dictados con laudo arbitral

Ley General de Salud Comisión Nacional de Arbitraje Médico UNAM Saludario

Aspectos legales

Para determinar si existe o no responsabilidad médica, se debe atender lo dispuesto por diversos ordenamientos jurídicos y técnicos:

La Norma Oficial Mexicana NOM-004-SSA3-2012

 El expediente clínico establece los requisitos mínimos que debe cumplir el expediente clínico.

Suele marcar el parámetro para determinar hasta qué grado el personal médico fue omiso a evaluar el estado de salud y el tratamiento administrado.

Código Penal

 Los artículos 228 a 230 del Código Penal Federal contemplan las sanciones contra el personal médico responsable de lesiones o muerte de un paciente. La pena puede ser desde tres meses hasta dos años de prisión o también 100 días multas y suspensión de tres meses a un año a criterio del juzgador.

 Las sanciones también son para los directores, encargados o administradores de cualquier centro de salud.

Ley General de Salud

 Los profesionistas, artistas o técnicos y sus auxiliares serán responsables de los delitos que cometan en el ejercicio de su profesión.

Sanciones contempladas

 Suspensión de un mes a por dos años en el ejercicio de la profesión o definitiva en caso de reincidencia.

 Estarán obligados a la reparación del daño por sus actos propios y por los de sus auxiliares, cuando los últimos obren de acuerdo con las instrucciones de sus superiores.

 Hasta cinco años de prisión a quien niegue atención médica urgente por motivo económico.

#TuSalud 02 DE OCTUBRE DE 2023 MARTES 10
Conceptos jurídicos
Informe Anual de Actividades 2022 de la Conamed 1 2 4 5 6
39% en los que la resolución fue condenatoria (y en el resto, absolutoria)
03 DE OCTUBRE DE 2023 MARTES 10

#TuPágina 04

Medir con la misma vara ESTRELLA ROJAS

Hace algunos días, se dio a conocer a través de distintos medios de comunicación que Sheinbaum habría cometido plagio en su tesis. Sin embargo, hasta el día de hoy, la Universidad Nacional Autónoma de México (UNAM) no ha llevado a cabo las revisiones correspondientes, a diferencia de lo que ocurrió en el caso de Xóchitl Gálvez.

Evidentemente, cuando se le cuestiona al respecto, Sheinbaum solo ha manifestado que dichas acusaciones son falsas, a diferencia de Xóchitl Gálvez, quien públicamente reconoció que en seis párrafos de su informe de experiencia laboral, a través del cual obtuvo su título como ingeniera en Computación, no citó adecuadamente al autor.

Xóchitl Gálvez compareció ante el Comité de Ética de la Universidad Nacional Autónoma de México (UNAM) y ha señalado que respetará lo que determine la Universidad, e incluso compartió que propuso realizar otro trabajo para atender la supuesta falta.

En el caso de Sheinbaum, Guillermo Sheridan ha logrado acreditar que el plagio cometido no es como ella lo ha minimizado en sus redes sociales, sino que copió una gran cantidad de partes de un trabajo académico de la Universidad de Princeton que tradujo, copió y pegó en su tesis, sin las referencias correspondientes.

Sin embargo, más allá del plagio en el que hayan podido incurrir (Xóchitl por seis párrafos de un informe de experiencia laboral y Sheinbaum por copiar una tesis de licenciatura), la diferencia real radica en cómo se asume un error.

La principal diferencia está en que mientras Xóchitl asumió su falta y señaló que respetaría la determinación de la UNAM, Sheinbaum, al igual que el presidente de la República, no asumen sus errores, negando así lo evidente.

Si Sheinbaum realmente tiene idea de lo que implica un trabajo académico, como lo ha presumido, y tiene la seguridad de que no hizo plagio; al igual que Xóchitl Gálvez, debería comparecer ante el Comité de Ética y asumir la determinación de la UNAM al respecto.

Ante la evidente incapacidad de Sheinbaum para reconocer que cometió plagio en su tesis, es urgente que la UNAM se pronuncie de oficio en este caso, pues es evidente que la virtual candidata de Morena no aceptará su responsabilidad, al igual que no lo ha hecho en la tragedia del Rébsamen o en la línea 12 del metro de la Ciudad de México.

DIRECTOR GENERAL

EDITORIAL

DIRECTOR COMERCIAL

JEFATURA DE INFORMACIÓN Marittza Navarro

JEFATURA DE REPORTEROS Salvador Castillo

DISEÑO Marco A. Rodríguez

10 de octubre de 2023. Editor responsable: Fernando Sánchez López. Reserva de Derechos al Uso Exclusivo número 04-2022-080513290700-101 y Certificado de Licitud de Título y Contenido número 17516, de los cuales es titular AD COMUNICACIONES, S. DE R.L. DE C.V. Domicilio de la Publicación: Avenida Constituyentes Nº109, Interior 11, Colonia Carretas. C.P. 76050, Santiago de Querétaro, Querétaro. Imprenta: El Universal Compañía Periodística Nacional, S.A. de C.V. Bucareli Número 8, Colonia Centro, Alcaldía Cuauhtémoc, Ciudad de México C.P. 06040. Distribuidor: AD COMUNICACIONES, S. DE R.L. DE C.V. Avenida Constituyentes Nº 109, Interior 11, Colonia Carretas. C.P. 76050, Santiago de Querétaro, Querétaro. Prohibida la reproducción total o parcial del contenido de esta edición.

Oficinas y ventas: publicidad@aldialogo.mx

Móvil: (442) 479 14 89 | Oficina: (442) 291 99 00

Reporte ciudadano: 442 479 1513

DE OCTUBRE DE 2023 MARTES 10
CONVERSA
 Envíanos tu foto a jignot@adcomunicaciones.mx
mflores@adcomunicaciones.mx
Editado
AD Comunicaciones S de RL de CV
por la empresa
AD QUERÉTARO, periódico de lunes a viernes,
El Cerro del Zamorano @paloli02 Querétaro
El cartón

Turn static files into dynamic content formats.

Create a flipbook
Issuu converts static files into: digital portfolios, online yearbooks, online catalogs, digital photo albums and more. Sign up and create your flipbook.