Suplemento - El Dentista Moderno Nº 85

Page 1

Monográfico

Las cosas que funcionan no cambian, EVOLUCIONAN.

S uplemento • Mayo/Junio 2024
@eldentistamoderno @eldentistamoderno @eldentistamoderno @dentistamoderno
¡DESCUBRE EL PROGRAMA COMPLETO!

sumario

PUBLICADO POR

Edición y diseño Dentista Moderno www.eldentistamoderno.com

Versys Ediciones Técnicas S.L. C/ Invierno, 17

28850 Torrejón de Ardoz (+34) 912 972 000

EN COLABORACIÓN CON

SWEDEN & MARTINA S.p.A.

Oficina Comercial:

Avenida de la Industria, 4

Parque Empresarial Natea Business Park Edificio 0, Portal 2, Oficina Bajo C 28108 Alcobendas, Madrid

Tel. +34 963525895 (Ext. 2046) Tel. +34 662664669 (Ext. 2039) e-mail : info.es@sweden-martina.com www.sweden-martina.com

Acerca de...

El grupo, fundado en 1972, es hoy en día líder a nivel internacional en el diseño, producción y distribución de productos destinados al mundo de la odontología y, en particular, al sector de la implantología, donde cuenta con el nivel más elevado de desarrollo en el mundo.

La empresa, con capital totalmente privado, pertenece aún hoy a la familia Martina. Las nuevas generaciones se han unido a la dirección compartiendo su visión y sus estrategias. ¿La misión de Sweden & Martina? Un soporte concreto para el médico, con soluciones refinadas y tecnológicas, obtenidas gracias a un estudio científico riguroso y a una investigación continua, con suma flexibilidad e intervenciones rápidas.

2

ENTREVISTA

“¡Estamos emocionados por lo que el futuro nos depara!” José Manuel García de la Cruz, Director Comercial de Sweden & Martina España y Portugal

4

PRÓTESIS

SOBRE IMPLANTES

Rehabilitación de la arcada superior completa gravemente comprometida

Autores: Giovanni Zucchelli, Alessandro Zucchelli y Pietro Bellone

11

IMPLANTOLOGÍA

Implante postextracción guiado y provisionalización inmediata en sector estético

Autor: Santi Carreras y Marta Paradís

16

IMPLANTOLOGÍA

Simplicidad quirúrgica y prostodóncica para la resolución de casos complejos gracias a la convergencia en implantes

Autor: Martín Laguna

20

ORTODONCIA

Colaboración nocturna en el tratamiento de una maloclusión con apiñamiento: NOXI – the night aligner

Autores: Francesca Cremonini, Giuseppe Siciliani y Luca Lombardo

Nuevos departamentos de producción, con una superficie total al cubierto de más de 2.000 m2, para un total de 4.000 m2, son la respuesta concreta a la demanda cada vez mayor por parte del mercado de los implantes allí fabricados. Tres edificios contiguos al Medical Bioengineering and Production Buildings, diseñados con una mirada atenta a la funcionalidad y a los mismos criterios sumamente estéticos que caracterizan desde siempre toda la estructura de Sweden & Martina. Un área renovada, destinada a los prototipos de los productos y más espacio dedicado al control de la calidad. A pesar del aumento continuo de las piezas fabricadas, Sweden & Martina sigue cada día renovando su compromiso hacia la calidad y garantizando el control sobre el 100% de sus productos.

1

entrevista

“¡Estamos emocionados por lo que el futuro nos depara!”

Durante más de 50 años, Sweden & Martina ha demostrado su máxima en la búsqueda por la excelencia hacia la salud, la calidad y la estética de sus pacientes. A lo largo de esta entrevista José Manuel García de la Cruz, Director Comercial de Sweden & Martina España y Portugal, nos explica el enfoque de la compañía hacia la investigación y la innovación y su compromiso con la comunidad científica, con el fin de convertirse en un “socio de excelencia para las clínicas”.

 DM.- ¿Podría hablarnos un poco sobre su crecimiento personal y profesional en Sweden & Martina?

José Manuel García de la Cruz (J.M.G.C.).Mi trayectoria en Sweden & Martina ha sido apasionante. Comencé como agente en Extremadura y allí empecé a descubrir el mundo de la odontología, teniendo la suerte de conocer y aprender al lado de grandes profesionales. Al poco tiempo pasé a convertirme en Responsable Territorial de Andalucía, Galicia y Extremadura. En el año 2022 la familia Martina confió nuevamente en mí para gestionar Portugal. Y desde el 2023 pasé a ocupar el puesto de Director Comercial de España y Portugal. Esta experiencia me ha permitido comprender la importancia de las personas en nuestra empresa, así como el valor del equipo y de la comunicación entre ambas partes, valorando a nuestros colaboradores y clientes y, sobre todo, brindando oportunidades de crecimiento y desarrollo continuo.

 DM.- En su visión, ¿qué representa Sweden & Martina para el mercado?

J.M.G.C.- A mí me gusta pensar en Sweden & Martina como un socio de excelencia para las clínicas. Mi proyecto es demostrar al mercado y a nuestros clientes que Sweden & Martina destaca no como un suministrador más de productos, sino como un socio de excelencia. Un socio que esté en todos los procesos de desarrollo y evo-

2
ENTREVISTA
José Manuel García de la Cruz, Director Comercial de Sweden & Martina España y Portugal

lución de la clínica y sobre todo en el consumidor final, que jamás podemos olvidar que es el paciente. Durante más de 50 años la familia Sweden & Martina ha demostrado su máxima en la búsqueda por la excelencia hacia la salud, la calidad y la estética de sus pacientes.

 DM.- ¿Cuáles son los puntos de fuerza que ha aportado Sweden & Martina al mercado ibérico en el último periodo?

J.M.G.C.- Ante todo, el posicionamiento en Madrid: decidimos trasladar nuestras oficinas centrales principalmente para dar un mayor servicio a nuestros clientes y a la red comercial. Hoy por hoy la rapidez, la planificación y la accesibilidad es primordial en cualquier acción que nos rodea, y esto se traduce en un servicio final de mayor calidad. La celebración de nuestro 20 Simposium Internacional en Madrid los próximos días 28 y 29 de junio será la ratificación de lo mencionado anteriormente. Madrid y Sweden & Martina serán el referente a nivel mundial de la Odontología y Cirugía Oral. También bajo el punto de vista de los productos, tenemos innovaciones destacadas: introdujimos novedades como Noxi, el único alineador de uso nocturno, siempre bajo el paraguas de la Facultad de Ferrara y el Profesor Siciliani. Y el nuevo Prama Power, que estará disponible a partir del otoño, representa la evolución del Prama, implante que ha revolucionado la implantología cambiando el paradigma desde hace 10 años. Estos productos reflejan nuestro compromiso con la investigación y el desarrollo continuo, siempre con una identidad personal única. Finalmente, aunque esto no es una novedad, cabe destacar el apoyo integral

Sweden & Martina se enorgullece de su legado, su enfoque en la innovación y su compromiso con la comunidad científica”

que siempre intentamos darle al cliente: ofrecemos capacitación, soporte técnico y soluciones personalizadas para las clínicas. Nuestro objetivo es ayudar a los profesionales a brindar la mejor atención a sus pacientes.

 DM.- Prama es el implante que más ha caracterizado a Sweden & Martina en el panorama de la implantología. ¿Cuál es el pasado, presente y futuro de este implante?

J.M.G.C.- Prama es un pilar fundamental en nuestra historia. Su evolución es testimonio de nuestro compromiso con la excelencia. Desde sus orígenes, Prama ha sido un producto de investigación y desarrollo interno. La colaboración con médicos y su experiencia clínica han sido esenciales para su mejora constante. Y, sin duda, el mercado español y los grandes profesionales de altísimo prestigio han llevado a este éxito, al cual aún le queda un camino importante por recorrer. Puedo adelantarles que en

nuestro simposio de Madrid, que se llevará a cabo a finales de junio, mostraremos un adelanto del nuevo Prama Power, disponible a partir del otoño.

 DM.- ¿Qué es el Prama Study Group?

J.M.G.C.- Este proyecto es estratégico. A través del Prama Study Group fomentamos la colaboración con la comunidad científica y el aporte de nuestros usuarios. En Sweden & Martina todas las opiniones cuentan en el desarrollo de sus productos, explorando nuevas facetas de la implantología y compartiendo conocimientos. Además, nuestras cátedras de investigación y la colaboración con sociedades científicas fortalecen aún más nuestra posición como líderes en este campo.

En resumen, Sweden & Martina se enorgullece de su legado, su enfoque en la innovación y su compromiso con la comunidad científica. ¡Estamos emocionados por lo que el futuro nos depara! 

3

caso clínico

Rehabilitación de la arcada superior completa gravemente comprometida

A través de este caso clínico se resalta cómo el restablecimiento solo de la parte supraósea puede ser suficiente para compensar un importante déficit volumétrico, sin necesidad de recurrir a complejas reconstrucciones óseas, cuyo resultado suele ser poco predecible.

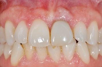
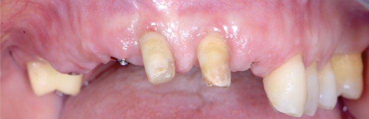
La paciente, de 47 años, se presenta a nuestra observación con una situación gravemente comprometida en varios frentes. La enfermedad periodontal ha causado importantes déficits en los tejidos duros y blandos, recesiones en toda la arcada superior y la pérdida de los elementos dentales del 13 al 15, asociada también a lesiones cariosas destructivas difusas.

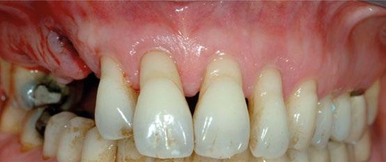
Se lleva a cabo la eliminación de los elementos más comprometidos e irrecuperables, permitiendo que los tejidos se curen durante 6 meses, durante los cuales se coloca una prótesis provisional reforzada en toda la arcada, anclada en los elementos residuales 17, 11 y 21, extendiendo el puente también a los elementos 23,

24 y 25 con alitas tipo Maryland para obtener una adecuada estabilidad manteniendo intactos estos elementos.

Se planea la rehabilitación definitiva con soporte implantario con la ayuda de cirugía guiada e implantes Prama Short Neck. En las posiciones 12 y 22 se colocan implantes de 3,80 mm de diámetro y 11,5 mm de altura, mientras que en la posición 15 se planea la colocación de un implante de 10 mm de altura inclinado mesialmente para evitar el seno maxilar.

En el momento de la intervención, se realiza un colgajo de espesor total y se extiende apicalmente a espesor parcial: esto, por un lado, evitará la interferencia del grosor de los tejidos blandos con la máscara; por otro lado, es precursor del injerto de tejido conectivo tomado del paladar del paciente que reconstruirá los volúmenes de los tejidos duros y blandos que faltan, la parte supraósea de la raíz, previamente perdida.

Durante la fase de osteointegración de los implantes, se dejan los dos muñones en las posiciones 11 y 21 como soporte del puente circular que se vuelve a cementar en su posición. Después de 6 meses, se extraen los dos muñones, los alvéolos se preservan y se rellenan con injerto óseoprotegido con la aplicación de una membrana reabsorbible, con el objetivo de mantener el volumen. Al mismo tiempo, se entrega una prótesis provisional atornillada en los pilares P.A.D.r, que compensa la falta de paralelismo, modela los tejidos blandos en fase de maduración a través de los perfiles protésicos y lleva la plataforma protésica a una posición más coronal. Ya a los 3 meses, es evidente cómo la presión de los perfiles ovoidales de las cabezas de los incisivos centrales ha empujado a la papila mesial a ocupar su espacio.

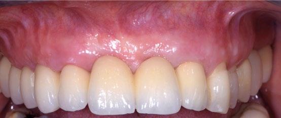
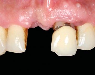
A los 9 meses se entrega la prótesis definitiva de metal-cerámica, que se encuentra con perfiles ya correctamente modelados y maduros. La comparación entre la situación inicial y la final resalta cómo el restablecimiento solo de la parte supraósea ha sido suficiente para compensar un importante déficit volumétrico, sin necesidad de recurrir a complejas reconstrucciones óseas, cuyo resultado suele ser poco predecible. 

4
PRÓTESIS SOBRE IMPLANTES
1
Fotos iniciales que muestran claramente el grave compromiso de la arcada superior debido a la enfermedad periodontal. Giovanni Zucchelli Alessandro Zucchelli Pietro Bellone

2

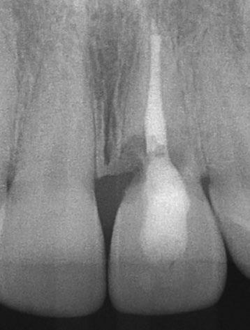
Radiografías intraorales iniciales.

Radiografías a los 6 meses de curación.

Tejidos a los 6 meses de curación.

Curación después de la limpieza con provisional reforzado anclado en los elementos residuales 17, 15, 11, 21, 23, 24, 25.

5
3a
4
5c
5a 5b
3b 3c
3d 6a

caso clínico

PRÓTESIS SOBRE IMPLANTES

Planificación del posicionamiento de los implantes en cirugía protésicamente guiada.

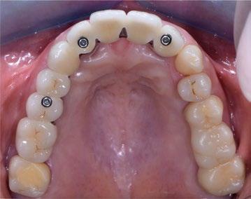
Colocación de los pilares P.A.D. para realizar una prótesis atornillada.

Fase quirúrgica: apertura del colgajo.

6
6b
6c
Dima quirúrgica en modelo impreso con impresora 3D.
7
9
8

Posicionamiento y anclaje de los injertos tomados del paladar.

Curación de los tejidos a las X semanas.

Aspecto de los tejidos blandos durante la integración de los injertos conectivos.

Cierre del colgajo quirúrgico sobre los injertos con sutura 6/0 PGA.

7
10a 10b 11a 11b
12c 12d 12e
12a
12b
13a
13b

caso clínico

PRÓTESIS SOBRE IMPLANTES

Extracción de los muñones en las posiciones 11 y 21.

15c

Entrega de la prótesis provisional atornillada en los pilares P.A.D.r.

Maduración de los tejidos en el área de los alvéolos de los incisivos frontales, influenciada por los ovoides de la prótesis, 3 meses después de las extracciones.

Pruebas de la prótesis definitiva de metal-cerámica.

Curación a los 6 meses: se observa el progresivo ajuste de los tejidos blandos a los perfiles protésicos.

8
14a
15a 15b
16a 16b 17a 17b
18b 18c 18d
18a

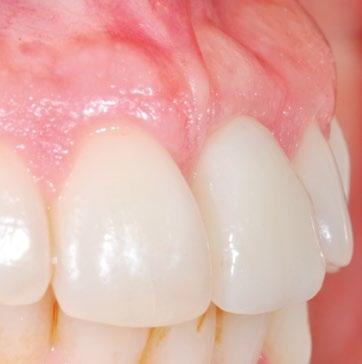
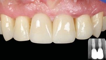
Entrega de la prótesis definitiva de metal-cerámica.

Detalle de los volúmenes obtenidos con el injerto conectival.

Comparación entre la situación pre y post-implante, destacando la modelación de los tejidos blandos lograda gracias a la cirugía mucogingival y a los perfiles protésicos.

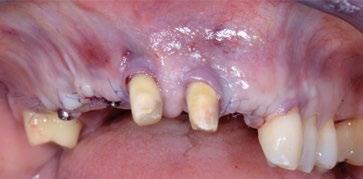
Comparación entre la situación inicial y final.

Radiografías finales de la arcada superior.

9 19a 19b
20a 20b 20c 20d 20e
21a
21b
23
22a
22b

M.I.S.E. EVO KIT

Un sistema de fresas y topes que permite elevar de forma atraumática y gradual el seno maxilar hasta una altura de 5-10 mm, con una técnica sencilla, rápida, segura, y estandarizada para permitir un altísimo porcentaje de éxitos. Puede ser utilizado para implantes cilíndricos, roscados y no roscados, cuya medida del cuerpo implantario coincida con el diámetro de la parte activa de los instrumentos rotatorios.

Minimally Invasive Sinus Elevation KIT GSL

Guided Sinus Lift

La elevación de seno guiada que permite elevar hasta una altura de 12 mm, en un kit compacto para una operatividad más simple también en consultoría.

DEL
MAXILAR SEGURA
LA ELEVACIÓN
SENO
Y SENCILLA www.sweden-martina.com

caso clínico IMPLANTOLOGÍA

Implante postextracción guiado y provisionalización inmediata en sector estético

Actualmente resulta imprescindible poder ofrecer un resultado estético natural e indetectable cuando reponemos un diente por una prótesis implantosoportada en el sector estético anterior. En este caso clínico se describe el abordaje postextracción con provisionalización inmediata. Además de reducir al máximo el trauma emocional y social del paciente, esta técnica tiene como principal ventaja sostener el tejido blando, previniendo su colapso y contracción.

Introducción

Actualmente resulta imprescindible poder ofrecer un resultado estético natural e indetectable cuando reponemos un diente por una prótesis implantosoportada en el sector estético anterior.

Como describe el Prof. Zucchelli, las principales causas que pueden llevar a error en estos casos son: la posición tridimensional incorrecta del implante, el déficit de tejido blando vestibular, la ausencia de pared ósea vestibular, y la elección incorrecta del diseño del implante.

Justificación de la técnica

En aquellos casos en que es posible, la técnica de elección en sector estético es el abordaje postextracción con provisionalización inmediata. Además de reducir al máximo el trauma emocional y social del paciente, tiene como principal ventaja sostener el tejido blando, previniendo su colapso y contracción.

La colocación totalmente guiada del implante desde el diseño de la prótesis final teniendo en cuenta su posición tridimensional respecto a los tejidos duros y blandos y dientes adyacentes, nos permite una precisión difícil de alcanzar “a mano alzada”.

El diseño de la parte más coronal del implante puede aportar ventajas significativas en esto casos. Un implante con cuello intramucoso aleja el gap del hueso y evita alterar el trayecto mucoso en la fase protética. Una geometría convergente permite más espacio para el tejido blando. Una superficie de este cuello compatible tanto con tejidos duros como blandos permite más flexibilidad a la hora de decidir la profundidad de colocación del implante, especialmente en alveolos irregulares. Tener varias opciones para posicionar la restauración final en relación a la plataforma del implante facilita corregir asimetrías del margen gingival respecto a los dientes contralaterales naturales.

La colocación de un injerto de tejido conectivo es necesaria para compensar la pérdida de volumen en el trayecto supracrestal de la raíz y prevenir la PSTD (dehiscencia del tejido blando perimplantario), simultáneamente a la colocación del implante y prótesis provisional. Esto permite el acondicionamiento del tejido para obtener una estética óptima. En nuestra práctica optamos por la técnica del colgajo de avance coronal. En relación al túnel, un colgajo aporta varias ventajas como simplificar la extracción, mejorar la visibilidad

y reducir el riesgo de posicionar incorrectamente el implante (EPA dientes adyacentes) y permitir la reconstrucción ósea de dehiscencias o fenestraciones. El hecho de poder avanzar el colgajo es esencial para corregir una posición inicial desfavorable del margen gingival, asegurar la cobertura completa del injerto, y permite además tratar recesiones en los dientes adyacentes.

Caso clínico

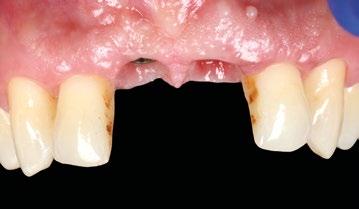
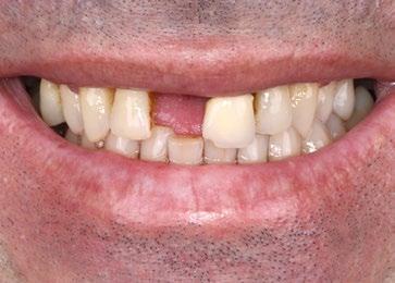
Paciente mujer de 35 años, con amplia exposición gingival en sonrisa y alta demanda estética (Fig. 1, 2).

Su solicitud inicial es volver a blanquear el 21, que había sido previamente endodonciado y había recibido sucesivos tratamientos blanqueadores que habían recidivado. Refiere ligera molestia en la papila interincisiva. En la exploración radiográfica intraoral 1 2

11
Santi Carreras Marta Paradís

caso clínico IMPLANTOLOGÍA

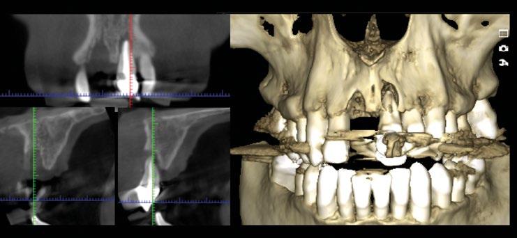
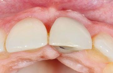
se aprecia una extensa reabsorción radicular interna, con el consiguiente defecto óseo, que se confirma con un CBCT (Fig. 3, 4, 5). Se informa a la paciente del riesgo de fractura espontanea. Esta solicita solucionar el problema antes de que avance más.

En estos casos es crítica la gestión de los tejidos blandos para compensar la pérdida del soporte por parte del trayecto supracrestal de la raíz con en ITC y provisionalización inmediata.

El plan de tratamiento propuesto es, previa planificación digital, la reposición postextracción del 21, relleno del gap bucal, injerto conectivo subepitelial y provisionalización inmediata. Tras 4 meses iniciar la fase de acondicionamiento final del tejido blando y a los 6 meses prótesis definitiva. Planificación digital de la posición ideal del implante y fabricación de la guía quirúrgica y corona provisional (Fig. 6 y 7).

Previa anestesia se levanta un colgajo en sobre con incisiones convergentes hacia la pieza a extraer, a espesor mixto. Las papilas se inciden a espesor parcial, el colgajo se levanta a espesor total hasta 3 mm apical a la cresta ósea, donde se incide el periostio para seguir a espesor parcial, y poder así pasivizar y coronalizar el mismo. (Fig. 8 y 9).

Inserción totalmente guiada de un implante Prama (Fig. 10).

Se verifica la correcta posición y estabilidad del implante (Fig. 11 y 12).

12
3 4 5 6 7 8 9 10 11 12

A continuación, se rellena el gap vestibular y el defecto óseo con hueso autólogo y xenoinjerto, con gran atención de que no queden partículas en la zona del injerto conectivo (Fig. 13). Obtención y desepitelización del injerto de tejido conectivo subepitelial del paladar (Fig. 14, 15), y sutura del mismo a la base de las papilas quirúrgicas 1 mm submarginal (Fig. 16).

En este caso decidimos utilizar la corona natural como provisional. Se rebasa en su posición original sobre el cilindro de titanio con composite fluido y se modela el perfil crítico y subcrítico ideal. Es imprescindible acabar y pulir minuciosamente, en especial la parte subgingival, para reducir el acumulo de placa (Fig. 17, 18).

Se finaliza la sutura del CAF con la corona en posición, el trayecto supracrestal de la misma dará apoyo al injerto y al colgajo, que colgajo debe cubrir 1 mm el injerto, y quedar 1 mm más coronal del margen definitivo deseado. En la imagen oclusal se ve la correcta salida del tornillo protésico y el volumen vestibular (Fig 19).

Tras 4 meses (Fig. 20, 21), se inicia la fase final de acondicionamiento mediante adición de composite a la corona provisional, presionando sobre el tejido ya maduro hasta modelar la emergencia simétrica a su contralateral, durante 2 meses más (Fig. 22).

A los 6 meses ya se puede proceder a realizar la corona definitiva. En este caso la paciente se decide a alinear y blanquear sus dientes antes, así que se realiza una nueva corona provisional ya que la inicial realizada con su diente natural se está oscureciendo.

Escaneamos tanto la posición del implante y de los tejidos blandos, como la actual corona, en su posición en boca, como fuera, para que el técnico de laboratorio pueda duplicar la emergencia que hemos ido modelando, y no perder la arquitectura conseguida (Fig. 23, 24).

13
13 14 15 16 17
18 19 20 21 22

caso clínico IMPLANTOLOGÍA

Conclusión

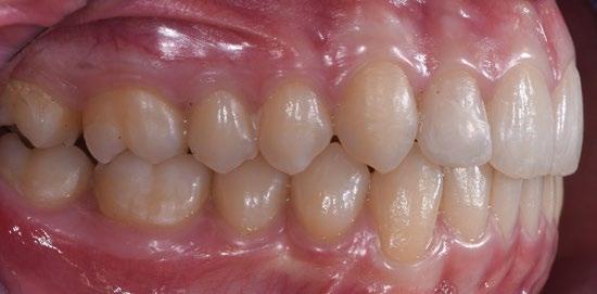
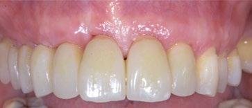
Este abordaje permite conseguir una estabilidad del implante y de los tejidos duros y blandos, y un resultado estético óptimo (Fig. 25, 26, 27, 28). 

14 23 24 25 26 27 28

¡ENTRA EN PRAMA CLINICIANS!

El chat oficial de Whatsapp de Sweden & Martina para médicos y protésicos dentales, donde pueden comparar sus experiencias en Prama.

¡Escanea el código QR y comienza a publicar tus casos inmediatamente!

caso clínico IMPLANTOLOGÍA

Simplicidad quirúrgica y prostodóncica para la resolución de casos complejos gracias a la convergencia en implantes

El propósito de este artículo es mostrar cómo el empleo de implantes de cuello convergente nos permite ser predecibles y simplificar casos complejos de manera inmediata en una sola cirugía gracias al diámetro estrecho de su cuello que aporta más espacio a los tejidos que van a ser regenerados y la versatilidad de poder realizar prótesis atornillada vertical con libertad de plataforma restauradora sobre la hipérbole. Asimismo, su cuello intramucoso mejora la estabilidad crestal gracias a los más de 2 mm de superficie UTM donde se estabiliza el tejido conectivo supracrestal generando estabilidad periimplantaria. Finalmente, los t-bases sin línea de terminación aportan libertad y sencillez al técnico de laboratorio para construir resturaciones estéticas no sujetas a plataformas restauradoras preestablecidas en altura y diámetro y a un nivel biológico de bajo riesgo.

Introducción

La implantología en el sector anterior asociada a áreas de déficit óseo suponen un escenario clínico complejo no sólo para el cirujano, que en la mayoría de las ocasiones necesita varias intervenciones quirúrgicas para la recuperación de volúmenes óseos y manejo de tejidos blandos sino también para el prostodoncista donde la exigencia estética es alta y el control de la estabilidad biológica en áreas regeneradas supone un reto para la salud periimplantaria a largo plazo. El propósito de este artículo es mostrar cómo el empleo de implantes de cuello convergente nos permite ser predecibles y simplificar casos complejos de manera inmediata en una sola cirugía gracias al diámetro estrecho de su cuello que aporta más espacio a los tejidos que van a ser regenerados y la versatilidad de poder realizar prótesis atornillada vertical con libertad de plataforma restauradora sobre la hi-

pérbole. Asimismo, su cuello intramucoso mejora la estabilidad crestal gracias a los más de 2 mm de superficie UTM donde se estabiliza el tejido conectivo supracrestal generando estabilidad periimplantaria. Finalmente, los t-bases sin línea de terminación aportan libertad y sencillez al técnico de laboratorio para construir resturaciones estéticas no sujetas a plataformas restauradoras preestablecidas en altura y diámetro y a un nivel biológico de bajo riesgo.

Caso clínico

Se presenta el caso de un paciente varón de 48 años de edad, ASA II, fumador que acude a consulta por la pérdida de su incisivo central superior derecho (Figura 1).

A la exploración clínica se observa enfermedad periodontal estadio III grado B con múltiples ausencias dentarias posteriores de larga evolución que han ocasionado la migración de los dientes adyacentes y antagonistas generando múltiples prematuridades e interferencias. Como consecuencia de todo ello, el paciente ha perdido el diente 1.1 con pérdida de volumen de tejido y el 2.1 presenta movilidad grado III con pronóstico imposible (Figura 2).

En la exploración radiográfica en 3D (CBCT) se aprecia ausencia de cortical vestibular en 2.1 y un defecto óseo horizontal en 1.1 (Figura 3).

16
1
2
Martín Laguna

Se planifica tratamiento periodontal para estabilizar la situación de partida, (se recomienda tratamiento de ortodoncia que el paciente declina) exodoncia del diente 2.1, legrado minucioso del proceso periodontal asociado, colocación de dos implantes Prama Long neck de manera simultánea a la exodoncia, regeneración ósea guiada de ambos defectos mediante abordaje en tunel, compensación de la pérdida de volumen mediante la colocación de tejido conec?vo de paladar a través del mismo acceso y consecución de estética inmediata por medio de provisionales atornillados que guíen la cicatrización en forma y posición.

Con la mejora de la situación periodontal tras el tratamiento y la adquisición por parte del paciente de nuevos y mejores hábitos de higiene se procede a la cirugía del sector anterior, motivo por el cual el paciente acudió a la consulta y que condicionaba su vida social.

Se comienza con la exodoncia del 2.1 de forma atraumática y el legrado minucioso del alveolo. Para asegurar la correcta remoción de restos epiteliales de la bolsa periodontal se realiza curetaje rotatorio a baja velocidad con fresa de diamante de grano grueso (aro verde). (Figuras 4 y 5). Para llevar a cabo la regeneración ósea guiada se facilita el acceso tunelizado, mediante dos incisiones VISTA modificadas a nivel de la mucosa alveolar de 13 y 23, de las membranas reabsorbibles así como del injerto de tejido conectivo. A nivel de 1.1 se hace una incisión circular sin descargas a modo de ojal supracrestal.

Una vez desbridados los tejidos cicatriciales y de granulación de ambos defectos y habiendo minimizado la tensión de todo el tejido mucoso diseccionando a espesor total y parcial el túnel se procede a colocar ambos implantes en la posición 3D ideal teniendo como referencia la futura posición de los márgenes gingivales de 1.1 y 2.1. Así, la plataforma de ambos Prama se colocan a 1,5 mm apica -

les del futuro margen ideal. Esta longitud sabemos que será suficiente para conseguir un perfil de emergencia gingival que confiera un aspecto natural a nuestras restauraciones.

Apical a esta plataforma queda un cuello tratado específicamente (UTM) para su convivencia con el conectivo supracrestal mejorando la estabilidad de dichas futuras fibras gracias a la convergencia a coronal de los 3 mm de cuello y que en los primeros estadios de cicatrización aportan espacio para el biomarterial y el injerto de tejido conectivo sin que existan presiones nocivas (Figuras 6 y 7).

Este cuello convergente hará las veces de pilar intermedio colocado en protocolo de one abutment one time y con la mejor conexión que se puede emplear a ese nivel de profundidad que es la que no existe ya que se trata de un implante intramucoso de una sola pieza, esto genera una gran estabilidad biomecánica y nula filtración bacteriana (Figura 8).

17
3 4 5 6 7

caso clínico IMPLANTOLOGÍA

Por último y no menos importante, se estabiliza y sella la herida quirúrgica mediante la fabricación e instalación de los provisionales atornillados. Al tratarse de filosofía intramucosa y que el área de estabilidad crestal se encuentre asociado al implante y no a la prótesis, el diseño de dicho provisional es sumamente sencillo reduciéndose simplemente a dar soporte y sellado al margen gingival del alveolo sin generar ningún tipo de presión. El control de ajuste a un nivel tan superficial es muy cómodo y visual (Figura 9).

Gracias a la ausencia de tensión en los tejidos tunelizados no fue necesaria la tracción coronal del mismo limitándose la sutura a estabilizar el injerto y el cierre de las incisiones VISTA modificadas (Figura 10).

Una vez ajustada la oclusión eliminando por completo todos los contactos céntricos y excéntricos y explicando los cuidados postoperatorios tanto sistémicos como locales, se finaliza la cirugía. En el control radiográfico 2D y 3D se puede evidenciar la correcta colocación del material de regeneración y el ajuste de la prótesis provisional (Figura 11).

Tras 16 semanas de cicatrización el aspecto clínico del tejido muestra unos márgenes gingivales armónicos y con signos de salud periimplantaria que se confirman al remover el provisional y observar aspecto epitelial sano del sulcus.

Radiográficamente el perfil óseo es estable en la proyección 2D (Figuras 12, 13 y 14).

Por todo ello se procede a la toma de impresión digital mediante el escáner intraoral TRIOS 3 con protocolo de triple escaneado para preservar de manera fiel los perfiles de emergencia logrados con la prótesis provisional (Figura 15).

Se decide fabricar dos coronas cemento-atornilladas en 1.1 y 2.1 en circonio monolítico con cut-back vestibular para estratificación con cerámica feldespática.

A diferencia de otras filosofías de implantes bone level, donde una vez medida la altura de la mucosa periimplantaria se procede a elegir la altura del caf mucoso de la t-base, en este caso se simplifica el proceso ya que será el propio circonio de forma vertical quien interactúe con la mu-

18
8 9 10 11 12 13 14 15

cosa periimplantaria al nivel de cierre de la corona deseado por clínico y técnico siendo la t-base siempre la misma, menos aditamentos más simple (Figuras 16 y 17).

Se trata de dos interfases rotatorias para prótesis con tornillo dinámico.

El perfil de emergencia en circonio monolítico resulta de copiar el perfil de la prótesis provisional simplificando el trabajo del técnico para dar soporte perfecto a la mucosa (Figura 18).

El resultado es un conjunto implantoprotésico estratificado de forma ideal: La superficie Zirti se encuentra en contacto con el hueso neoformado y los restos de

xenoinjerto presentes en la regeneración, la superficie UTM del cuello intramucoso conviven con las fibras colágenas del conectivo generando estabilidad crestal y tendencia a la migración coronal, el circonio monolítico pulido mejorará la adhesión del epitelio periimplantario contribuyendo a un correcto sellado y la cerámica feldespática mejora la integración estética de la restauración (Figura 19).

El aspecto final de las restauraciones integra en el entorno intraoral del paciente con papilas cortas consecuencia de su estado periodontal pero armónicas. En el control radiográfico 2D de las restauraciones definitivas se observa la estabilidad de los picos óseos interproximales incluso a un nivel coronal al inicio de la superficie UTM con la Zirti garantizando que la superficie rugosa se encuentra alejada del tejido blando (Figura 20).

En un control mediante CBCT un año después de la cirugía podemos ver la restitución y mantenimiento del contorno óseo alrededor de los implantes (Figura 21). En resumen, la convergencia ha posibilitado solventar un caso complejo en tan solo 4 citas. Una quirúrgica donde se solventaron todos los déficits de tejidos duros y blandos y se establecieron los distintos niveles de la futura restauración (uno biológico ligado al cuello del implante y otro estético de 1,5 mm como perfil de emergencia). En la segunda cita, 3 semanas después, se retiró sutura y controló la correcta evolución inicial de la cicatrización. En la tercera cita, 16 semanas después, se comprobó la osteointegración de los implantes y se realizó la impresión digital. Y, por último, en una cuarta cita se instalaron las restauraciones definitivas. 

19
16 17 18 21 20 19

caso clínico

Colaboración nocturna en el tratamiento

de una maloclusión con apiñamiento: NOXI – the night aligner

Este caso muestra a un paciente de 14 años tratado con éxito en solo 9 meses, mediante una primera secuencia de 14 alineadores NOXI seguida de una refinación de 6 alineadores NOXI en ambas arcadas, para usar cada uno durante 14 días, requiriendo solo 12 horas de colaboración al día. No se previeron grip points (puntos de agarre) durante todo el tratamiento. El objetivo principal del tratamiento fue resolver el apiñamiento anterior y la desviación de las líneas medias dentales, mejorando así la estética de la sonrisa. El paciente está satisfecho con los resultados obtenidos y apreció el uso de NOXI debido a la reducida colaboración requerida, limitada a las horas pasadas en el hogar, y a la invisibilidad del tratamiento gracias a la ausencia de puntos de agarre.

Introducción

Desde su introducción en el mercado, los alineadores transparentes han experimentado un crecimiento constante y una popularidad cada vez mayor, especialmente entre los pacientes adultos en busca de tratamientos ortodónticos.

Especialmente cuando se trata de pacientes adultos, el impacto negativo de los aparatos ortodónticos en la estética es la razón por la cual muchos se niegan a someterse al tratamiento. Como demostración de la importancia de este factor, Rosvall et al. (1) han mostrado cómo los pacientes adultos están dispuestos a pagar más para ser tratados de manera invisible. Sin embargo, si hay múltiples accesorios en las superficies vestibulares de los dientes anteriores, los pacientes perciben una notable reducción en la estética del tratamiento con alineadores. (2) En cambio, cuando se compara el nivel de eficacia clínica, la revisión sistemá-

tica más reciente de la literatura respalda el uso de alineadores como una alternativa válida a los aparatos fijos tradicionales en casos de maloclusión leve/moderada. (3) Si el caso se selecciona correctamente y el paciente demuestra una colaboración adecuada, usando los alineadores durante aproximadamente 22 horas al día, también se observa una reducción en la duración del tratamiento y en el número total de citas, en comparación con el tratamiento tradicional. (4) Por otro lado, un cierto porcentaje de pacientes no logra un resultado satisfactorio después de la primera serie de alineadores y requiere ajustes adicionales, lo que prolonga los tiempos de tratamiento (5). A pesar de que la colaboración juega un papel clave en el éxito de las terapias con alineadores, solo el 36% de los pacientes declara usar los alineadores durante los tiempos requeridos (6). Para superar estos límites, en los últimos años, gracias a las nuevas tecnologías CAD-CAM y a la impresión directa de alineadores, en la Escuela de Especialización de la Universidad de Ferrara se han probado varios materiales biocompatibles con diferentes configuraciones y

espesores diferenciales. El objetivo era evaluar la posibilidad de reducir la necesidad de colaboración, limitando el uso de los alineadores solo a las horas nocturnas. De esta idea surgió el diseño de NOXI - el alineador nocturno (Sweden&Martina, Due Carrare, Italia).

Caso clínico

Un paciente de 14 años se presentó en el departamento de Ortodoncia de la Escuela de Especialización de la Universidad de Ferrara buscando una evaluación ortodóncica. Tanto el paciente como sus padres solicitaron corregir el apiñamiento del grupo frontal superior e inferior, excluyendo el uso de aparatos fijos o dispositivos que requieran una colaboración elevada. Desde la anamnesis inicial, el paciente goza de un excelente estado de salud general y ha informado que ya se sometió a un tratamiento ortopédico con un expansor rápido del paladar a los 7 años.

En el examen extraoral (Fig. 1), se observa una buena simetría de la línea media dental superior en comparación con la línea media facial, mientras que la inferior muestra una desviación hacia el lado derecho del paciente. Al sonreír, se aprecia una exposición limitada de los incisivos superiores. El perfil es agradable, con un ángulo nasolabial y un ángulo labiomentoniano normales. En el examen intraoral (Fig. 2), en el arco superior, el grado de apiñamiento es leve-mo-

20
ORTODONCIA
Francesca Cremonini Giuseppe Siciliani Luca Lombardo

derado, especialmente caracterizado por el canino del hemiarco izquierdo (2.3) en una posición poco erupcionada y vestibular en comparación con los elementos adyacentes, debido a una falta de espacio en el arco. En el hemiarco opuesto, el canino (1.3) tiende hacia una clase dental cabeza a cabeza, con una asimetría resultante en las líneas medias dentales. En el arco inferior, el apiñamiento es

moderado con rotaciones importantes, especialmente en los caninos (3.3 y 4.3) y el incisivo lateral 3.2. Al calcular el índice de Bolton, se observa una discrepancia en las dimensiones mesiodistales de los dientes del arco superior en comparación con los del arco inferior. Específicamente, los incisivos laterales (2.2 y 1.2) tienen ambos una amplitud reducida. En el plano vertical, hay una mordida profunda y una curva de Spee aumentada.

En la ortopantomografía realizada al inicio del tratamiento (Fig. 3) no se observa nada relevante, excepto la presencia de todos los terceros molares en forma de gérmenes dentales. La cefalometría realizada en la telerradiografía lateral (Fig. 4) muestra una clase I esquelética (ANB: 3.1°), en un tipo facial hipodivergente (FMA: 21.5°). El incisivo superior presenta una inclinación reducida con respecto al plano palatal (U1-pp: 105.6°), mientras que el incisivo inferior

21
1
Fig. 1: Fotografía extraoral de la sonrisa al inicio del tratamiento.
2a 2c
2d 2e
2b Fig. 2 (a, b, c, d, e): Fotografías intraorales al inicio del tratamiento.

caso clínicoORTODONCIA

está correctamente posicionado con respecto al plano mandibular (IMPA: 95.0°).

Basándose en la solicitud inicial del paciente y sus padres, se planificó una terapia ortodóncica poco invasiva solo con dispositivos removibles. El objetivo principal del tratamiento fue resolver el apiñamiento anterior y la desviación de las líneas medias dentales, mejorando así la estética de la sonrisa. La planificación digital del tratamiento contempló la resolución del apiñamiento mediante la proclinación de los incisivos y una leve expansión dentoalveolar de los arcos. Al final del tratamiento, se prevé una restauración de la correcta relación entre las dimensiones mesiodistales de los dientes maxilares y mandibulares, mediante reconstrucciones directas en composite de los dientes 1.2 y 2.2. Por esta razón, en la planificación digital, mediante la proclinación de los incisivos, se crearon y mantuvieron pequeños diastemas mesiales y distales a estos elementos, con dimensiones adecuadas para restablecer un índice de Bolton correcto, calculado en función de la cantidad de reducción interproximal (IPR) prevista en el arco inferior. Para los movimientos planificados, se propuso una secuencia de 14 alineadores NOXI (Sweden&Martina, Due Carrare, Italia), en ambas arcadas, para usar cada uno durante 14 días, requiriendo solo 12 horas de colaboración al día. Todos los alineadores se diseñaron inicialmente a nivel digital, con espesores diferenciales específicos según las necesidades

biomecánicas del tratamiento. Después del diseño CAD (Diseño Asistido por Computadora), sigue la impresión 3D mediante la técnica SLS (Sinterización Láser Selectiva). Esta tecnología permite fusionar diferentes capas de polvo blanco, derivado de un tipo de Poliamida (PA), hasta obtener el resultado final. En la entrega del primer par de alineadores (Fig. 5), se realizó la IPR (Reducción Interproximal), según lo previsto en el diseño, limitada solo al arco inferior con una cantidad de 0.2 mm desde la superficie distal del elemento 3.3 hasta la superficie distal del elemento 4.3. No se previeron puntos de agarre durante todo el tratamiento, lo cual fue especialmente apreciado por el paciente. Esto le permite no tener nada visible o fijo durante las horas del día en las que no tiene que usar los alineadores. Al final de esta primera secuencia de alineadores, que duró aproximadamente 7 meses, se realizaron las reconstrucciones directas en composite de 1.2 y 2.2, como se había previsto al inicio del tratamiento. Finalmente, se llevó a cabo una breve fase de refinación con 6 alineadores NOXI adicionales, destinada a perfeccionar el alineamiento del grupo frontal. En el examen intraoral (Fig. 6), se logró un buen alineamiento de los arcos, especialmente del grupo frontal superior e inferior. En el plano sagital, se logró una Clase I dental molar y canina en ambos lados. Las relaciones ideales de Overjet y Overbite se lograron después de restaurar el Índice de Bolton an-

terior. En el plano vertical, se logró una buena corrección de la mordida profunda anterior gracias a la vestibularización de los incisivos, programada para resolver el apiñamiento. Esto se confirma con los valores cefalométricos obtenidos de la telerradiografía lateral realizada al final del tratamiento (Fig. 7). De hecho, tanto los incisivos superiores como inferiores experimentaron un aumento en su inclinación con respecto a las bases óseas respectivas de aproximadamente 4° (U1-pp: 109° e IMPA: 99°), permaneciendo dentro de un rango de normalidad. No se observaron cambios adicionales a nivel esquelético.

En la evaluación extraoral al final del tratamiento (Fig. 8), se observa una mejora en la estética de la sonrisa, con las líneas medias dentales correctamente alineadas con respecto a la línea media facial. Sin embargo, no se observaron cambios significativos en el perfil.

Conclusiones

Al respetar los tiempos de tratamiento previstos, se lograron todos los objetivos establecidos en 9 meses de terapia activa. Al final, se solicitó que el último alineador de la serie de refinación se usara como retenedor nocturno. El paciente apreció el uso de NOXI debido a la reducida colaboración requerida, limitada a las horas pasadas en el hogar durante todo el tratamiento, y a la invisibilidad del tratamiento gracias a la ausencia de puntos de agarre 

22
Fig. 3: Ortopantomografía al inicio del tratamiento.
3 4
Fig. 4: Tracing cefalométrico realizado en la telerradiografía lateral al inicio del tratamiento.
23 5a
Fig. 5 (a, b, c, d, e): Fotografías intraorales en la entrega del primer alineador NOXI. Fig. 6 (a, b, c, d, e): Fotografías intraorales al final del tratamiento.
5b 5c 5d 5e 6b 6c 6d 6e
6a

caso clínicoORTODONCIA

7 8

Resumen

A pesar de que la colaboración juega un papel clave en el éxito de las terapias con alineadores, solo el 36% de los pacientes declara cumplir con los tiempos requeridos. Para superar esta limitación, gracias a las nuevas tecnologías CAD-CAM y a la impresión directa de alineadores, en la Escuela de Especialización de la Universidad de Ferrara se probaron varios materiales biocompatibles con diferentes configuraciones y espesores diferenciales. El objetivo era evaluar la posibilidad de reducir la necesidad de colaboración, limitando el uso de los alineadores solo a las horas nocturnas. De esta idea surgió el diseño de NOXI - el alineador nocturno (Sweden & Martina, Due Carrare, Padua). Estos alineadores están diseñados digitalmente, con espesores diferenciales específicos según las necesidades biomecánicas del tratamiento. Después del diseño CAD, sigue la impresión 3D. Este informe de caso muestra a un paciente de 14 años tratado con éxito en solo 9 meses, mediante una primera secuencia de 14 alineadores NOXI seguida de una refinación de 6 alineadores NOXI en ambas arcadas, para usar cada uno durante 14 días, requiriendo solo 12 horas de colaboración al día. No se previeron grip points (puntos de agarre) durante todo el tratamiento. El objetivo principal del tratamiento fue resolver el apiñamiento anterior y la desviación de las líneas medias dentales, mejorando así la estética de la sonrisa. El paciente está satisfecho con los resultados obtenidos y apreció el uso de NOXI debido a la reducida colaboración requerida, limitada a las horas pasadas en el hogar, y a la invisibilidad del tratamiento gracias a la ausencia de puntos de agarre.

Bibliografía

1. Rosvall MD, Fields HW, Ziuchkovski J, Rosenstiel SF, Johnston WM. Attractiveness, acceptability, and value of orthodontic appliances. Am J Orthod Dentofacial Orthop. 2009 Mar;135(3):276.e1-12; discussion 276-7.

2. Thai JK, Araujo E, McCray J, Schneider PP, Kim KB. Esthetic perception of clear aligner therapy attachments using eye-tracking technology. Am J Orthod Dentofacial Orthop. 2020 Sep;158(3):400-409.

3. Yassir YA, Nabbat SA, McIntyre GT, Bearn DR. Clinical

effectiveness of clear aligner treatment compared to fixed appliance treatment: an overview of systematic reviews. Clin Oral Investig. 2022 Mar;26(3):2353-2370.

4. Borda AF, Garfinkle JS, Covell DA, Wang M, Doyle L, Sedgley CM. Outcome assessment of orthodontic clear aligner vs fixed appliance treatment in a teenage population with mild malocclusions. Angle Orthod. 2020 Jul 1;90(4):485-490.

5. Kravitz ND, Dalloul B, Zaid YA, Shah C, Vaid NR.

What percentage of patients switch from Invisalign to braces? A retrospective study evaluating the conversion rate, number of refinement scans, and length of treatment. Am J Orthod Dentofacial Orthop. 2023 Apr;163(4):526-530.

6. Timm LH, Farrag G, Baxmann M, Schwendicke F. Factors Influencing Patient Compliance during Clear Aligner Therapy: A Retrospective Cohort Study. J Clin Med. 2021 Jul 14;10(14):3103.

24
Fig. 8: Fotografía extraoral de la sonrisa al final del tratamiento. Fig. 7: Tracing cefalométrico realizado en la telerradiografía lateral al final del tratamiento.

EL ALINEADOR QUE SÓLO

USAS DE NOCHE

Designed by the team specialized at Ferrara School of Orthodontics

SOMOS PERSONAS

sweden-martina.com

Turn static files into dynamic content formats.

Create a flipbook
Issuu converts static files into: digital portfolios, online yearbooks, online catalogs, digital photo albums and more. Sign up and create your flipbook.