El Dentista Moderno Nº 97

Page 1


ENTREVISTA

Dra. Mª Ángeles Serrera Figallo, Catedrática de la Universidad de Sevilla

ORTODONCIA Y RESTAURACIÓN

IMPLANTOLOGÍA

JÓVENES TALENTOS

Dra. Anabel Gramatges Rojas, directora del Departamento de Odontología Preclínica de la UEV INVESTIGACIÓN

INSIDE THE CLINIC Clínica Dental Durán & Burgos

D4.0

ENTREVISTAS A LA INDUSTRIA DENTAL GESTIÓN DE CLÍNICAS

ENTREVISTAS

Sociedades científicas

PENSANDO EN FUTURO

Siguiendo la evolución de la Odontología para el profesional del sector llamado a construir el futuro

PRETTAU® SKIN®

TRATAMIENTO NO INVASIVO CON VENEERS ULTRA FINAS DE ZIRCONIA

0,15 mm

Tratamiento avanzado con alineadores transparentes adaptado a pacientes en crecimiento

Spark Junior ofrece un plan de tratamiento de dos fases diseñado específicamente para pacientes jóvenes. Apoya el cuidado ortodóntico personalizado y continuo desde la niñez hasta la adultez, brindando la sonrisa Spark que le encantará a sus pacientes.

Descubre nuestros nuevos productos! Comuníquese con su representante de ventas o visite ormco.eu/spark

BiteSync de clase II

Sistema de corrección

Nuevo

Simplifique su clínica con la corrección de clase II integrada en su flujo de trabajo digital

Spark BiteSync es un sistema de corrección de clase II que ofrece avance mandibular sincronizado, distalización maxilar y alineación dental sin la necesidad de un dispositivo extra. El sistema consta de una guía de oclusión y una SideBar, conectadas y alimentadas por elásticos de clase II, que pueden utilizarse en conjunto o de forma independiente.

Imagina poder resolver màs del 9 0 % de tus casos clínicos con solo dos líneas de implantes y la misma plataforma protésica ( 3,5 mm)

¿Todo con una única plataforma?

Sí, 3 , 5 mm de simplicidad y máxima versatilidad.

Y además...

Reduce el número de componentes protésicos. Optimiza la inversión.

Simplifica el protocolo clínico.

sumario

8

10

EDITORIAL

Un mes de ciencia, clínica e innovación para la odontología actual

Por Emi Rodríguez Charmes, directora de Dentista Moderno y D4.0.

ENTREVISTA

“La innovación es fundamental y hay que buscar la forma de incluirla en la docencia, aunque las clases magistrales deben mantenerse”

Dra. Mª Ángeles Serrera Figallo, Catedrática de Universidad del Área de Conocimiento de “Estomatología”, adscrita al Departamento de Estomatología de la Universidad de Sevilla

14

24

ORTODONCIA Y RESTAURACIÓN

Planificación digital en el tratamiento orto-restaurador. Reporte de un caso

Autores: Dra. Judy Al Droubi, Dr. Roberto Manrique y Dr. Miguel Roig Cayón

IMPLANTOLOGÍA

Técnica mínimamente invasiva para el reemplazo de un incisivo central superior: enfoque integral quirúrgico y protésico

Autor: Dr. Eduardo Anitua

32

JÓVENES TALENTOS

“El objetivo de la formación preclínica en odontología es claro: formar profesionales más competentes, reflexivos y seguros”

Dra. Anabel Gramatges Rojas, directora del Departamento de Odontología Preclínica de la Universidad Europea de Valencia

38

INVESTIGACIÓN

Periodontitis y cáncer colorrectal

40

44

84

INVESTIGACIÓN

Estudio de la evolución del aparato dental

INSIDE THE CLINIC

Clínica Dental Durán & Burgos

ACTUALIDAD DEL SECTOR DENTAL

92 NOVEDADES

Equipamiento, instrumental y material protésico, dental y clínico

El siguiente nivel de velocidad y resistencia

IPS e.max®

ZirCAD Prime

- Restauraciones sinterizadas rápidamente en sólo 15 minutos [1]

- 1.100 MPa [2] de resistencia y menor grosor de pared de 0,8 mm para coronas posteriores

- Resultados estéticos con una translucidez natural - Cementación convencional con Zircad Cement

MINUTOS DE SINTERIZACIÓN[1]

50

D4.0

ENTREVISTA A LA INDUSTRIA DENTAL

“Lo que para algunos es un problema, para Zirkonzahn es un reto”

Julian Steger, director ejecutivo de Zirkonzahn

54

58

GESTIÓN DE CLÍNICAS - DENTALQUALITY

La experiencia del paciente: del discurso a la acción clínica

Por: Gabriel Ríos, cofundador y director de DentalQuality

ENTREVISTA A LA INDUSTRIA DENTAL

“El futuro de la odontología está en Dentsply Sirona”

Xavier Carro, Vicepresidente Comercial del Grupo EMEA en Dentsply Sirona

62

GESTIÓN DE CLÍNICAS - CLÍNICAS W

Eficiencia real, rentabilidad sostenible y más calma en la clínica dental

66

70

PENSANDO EN EL FUTURO - SPRINTRAY

MIDAS, la impresora 3D que transforma al dentista analógico en protagonista del flujo digital

ENTREVISTA - SOCIEDAD CIENTÍFICA

“Expertos nacionales e internacionales aportarán una visión global y actualizada sobre los avances en cirugía bucal e implantología”

Dr. Jesús Torres y Dra. Isabel Leco, presidente y vicepresidenta del Comité Organizador del XXII Congreso SECIB Madrid

74

80

ENTREVISTA - SOCIEDAD CIENTÍFICA

“Se necesita promover una cultura profesional basada en la odontología inclusiva, accesible y humanizada”

Dra. Lizett Castellanos Cosano, presidenta de SEOENE y del Comité Organizador del XVII Congreso Nacional SEOENE 2025

ENTREVISTA - SOCIEDAD CIENTÍFICA

“El objetivo principal del Congreso SESPO 2025 es consolidar el papel de la prevención como piedra angular de la odontología moderna”

Dra. Mª del Rosario Garcillán Izquierdo, presidenta del XXX Congreso SESPO

DEL 18 AL 21 DE NOVIEMBRE DE 2025

FRÁNCFORT DEL MENO

10 AÑOS DE FORMNEXT

El lugar en el que el avance en fabricación aditiva transforma su producción

Formnext es el lugar en el que los líderes del mercado internacional presentan los últimos avances en toda la cadena de procesos de la fabricación aditiva (FA): desde materiales de alto rendimiento y tecnología de equipos de gran precisión hasta el posprocesado automatizado y soluciones integradas de software y control de la calidad.

Descubra en la zona de exposición y en los escenarios del evento cómo la FA puede hacer que su producción sea más eficiente, flexible y sostenible. Explore soluciones personalizadas para sus aplicaciones y dialogue allí mismo con pioneros de la industria y especialistas.

Consiga ya su entrada en formnext.com/tickets

Messe Frankfurt Group

Entidad promotora

staff

eldentistamoderno

Número 97 - Octubre 2025

Siguiendo la evolución de la odontología

DIRECTORA

Emiliana Rodríguez Charmes emi.rodriguez@eldentistamoderno.com

SUBDIRECTORA

Beatriz Suárez de la Vega beatriz.suarez@eldentistamoderno.com

REDACCIÓN Y FOTOGRAFÍA

Departamentos propios Versys Ediciones Técnicas

COMITÉ CIENTÍFICO

Javier de la Cruz, José Nart, Jesús Daniel Parejo, Juan López Palafox, Miguel Burgueño, Juan Manuel Vadillo, Guillermo Galván, Rafael Martínez de Fuentes, Anna Ramiro, Carlos Repullo, Leticia Rodríguez, Marta Revilla, José María Malfaz, Eva Mª Martínez y Eva López de Castro

DISEÑO Y MAQUETACIÓN

Manuel Beviá

DIRECTORA COMERCIAL ÁREA DE DISTRIBUCIÓN

Mercedes Álvarez mercedes.alvarez@versysediciones.com

DIRECTORA DE CUENTAS DM

Emiliana Rodríguez Charmes emi.rodriguez@eldentistamoderno.com

Impresión: Gama Color

Depósito Legal: M-33444-2013

ISSN: 2340-9703

ISSN (internet): 2340-9797

Versys Ediciones Técnicas S.L. Invierno, 17 28850 Torrejón de Ardoz (+34) 912 972 000 administracion@versysediciones.com

CEO

José Manuel Marcos Franco de Sarabia

DIRECTORA DE OPERACIONES

Esther Crespo

DIRECTOR DE EXPANSIÓN Y DESARROLLO

José Manuel Marcos de Juanes

Copyrigth Versys Ediciones Técnicas S.L. La suscripción a esta publicación autoriza el uso exclusivo y personal de la misma por parte del suscriptor. Cualquier otra reproducción, distribución, comunicación pública o transformación de esta publicación sólo puede ser realizada con la autorización de sus titulares. En particular, la Editorial, a los efectos previstos en el art. 32.1 párrafo 2 del vigente TRLPI, se opone expresamente a que cualquier fragmento de esta obra sea utilizado para la realización de resúmenes de prensa, salvo que cuente con la autorización específica. Diríjase a CEDRO (Centro Español de Derechos Reprográficos) si necesita fotocopiar, escanear, distribuir o poner a disposición de otros usuarios algún fragmento de esta obra, o si quiere utilizarla para elaborar resúmenes de prensa (www. conlicencia.com; 917021970/932720447)

Las opiniones y conceptos vertidos en los artículos firmados lo son exclusivamente de sus autores, sin que la revista los comparta necesariamente.

Premio de Comunicación SECIB 2019

D E M

Láminas flexibles xenogénicas

Estimula la REGENERACIÓN ósea de manera NATURAL y segura

Lámina esponjosa

25 x 25 x 3mm

20 x 30 x 3mm

Membrana cortical

25 x 25 x 0,2-0,4mm

Flexibilidad

Gracias el proceso de DESMINERALIZACIÓN parcia (Tratamiento EstRem)

Osteointegración

Potencia la adhesión celular y acelera la formación ósea

Tecnología EstRem

Máxima CALIDAD y seguridad

Lámina cortical

25 x 25 x 0,5-1m

M AT R I X

Matriz extracelula

ESTABILIDAD del volumen gracias a su proporción ÓPTIMA de hueso

cortical /

esponjoso

Matriz de COLÁGENO totalmente preservada

Listo para integrarse con tu hueso 100% Biocompatible

¡Descúbrelas!

Cajas de 1 o 6 uds.

¡Más detalles!

UN MES DE CIENCIA, CLÍNICA E INNOVACIÓN PARA LA ODONTOLOGÍA ACTUAL

Octubre llega cargado de citas ineludibles para el sector dental, un mes en el que la ciencia y la clínica se dan la mano en escenarios de máximo nivel. El calendario nos sitúa ante congresos de gran relevancia, donde se presentarán investigaciones, casos clínicos y avances tecnológicos que marcarán la práctica profesional de los próximos años.

Bilbao acoge Sepes 2025 bajo el lema “El desafío interdisciplinar”. Durante este Congreso nos sumergiremos en las complejidades y el trabajo colaborativo entre las distintas disciplinas de la profesión, todas ellas esenciales para el éxito en Prótesis Dental y Rehabilitación Oral. Un congreso con ponentes de talla internacional, punto de encuentro entre la prostodoncia, la estética dental y la innovación digital aplicada a la clínica diaria. De regreso a Madrid estaremos en el Congreso Sespo 2025, que pone el foco en la salud pública bucodental y en la importancia de la epidemiología y la prevención como pilares de la odontología moderna.

Dentro de este contexto, Dentista Moderno presenta en esta edición de octubre la publicación de un nuevo Suplemento Monográfico, de la mano de Medicalfit, un laboratorio protésico 100% digital “nacido con la visión de transformar el modelo tradicional de laboratorio, apostando desde el inicio por la digitalización y la integración CAD/CAM con materiales de última generación” y “con el propósito de acompañar a odontólogos y clínicas dentales con un servicio que une tecnología de vanguardia, calidad garantizada y trato cercano”, como podrá leer en este monográfico.

La sinergia entre Medicalfit y Dentista Moderno representa un motivo de satisfacción, reflejando el rigor, la confianza y el prestigio que nuestra publicación mantiene en el sector. Para nuestros lectores, este suplemento monográfico aporta un valor añadido en forma de conocimiento aplicado y casos de referencia; para la industria, se convierte en un escaparate en el que mostrar innovación y soluciones reales.

Octubre, por tanto, nos deja un mes pleno de ciencia y compromiso con la excelencia. Y lo que está por venir no se queda atrás: noviembre nos traerá nuevas citas de gran calado como Secib, Seoene y Sepa, además de eventos de la industria, que completarán un año de extraordinaria actividad formativa y científica para la profesión odontológica.

Desde Dentista Moderno damos la bienvenida a este mes de octubre acompañando a nuestros lectores con contenidos que reflejan lo mejor de la odontología, con la mirada puesta en todo lo que aún está por llegar.

Emi Rodríguez Charmes
Directora de Dentista Moderno y D4.0

“LA INNOVACIÓN ES FUNDAMENTAL Y HAY QUE BUSCAR LA FORMA DE INCLUIRLA EN LA DOCENCIA, AUNQUE LAS CLASES MAGISTRALES DEBEN MANTENERSE”

Dra. Mª Ángeles Serrera Figallo, Catedrática de Universidad del Área de Conocimiento de “Estomatología”, adscrita al Departamento de Estomatología de la Universidad de Sevilla

La Dra. Mª Ángeles Serrera Figallo ha sido recientemente nombrada Catedrática de Universidad del Área de Conocimiento de “Estomatología”, adscrita al Departamento de Estomatología de la Universidad de Sevilla. A lo largo de esta entrevista, la Dra. Serrera Figallo nos habla sobre cómo afronta esta nueva etapa y su pasión por la docencia y la Odontología.

 DM.- El pasado mes de junio fue usted nombrada Catedrática de Universidad del Área de Conocimiento de “Estomatología”, adscrita al Departamento de Estomatología de la Universidad de Sevilla. ¿Qué supone para usted este reconocimiento con el grado máximo de la escala académica? Y ¿cómo afronta esta nueva etapa como Catedrática?

Dra. Mª Ángeles Serrera Figallo (Dra. M.A.S.F.).-

Para mí, la Cátedra supone una superación personal, algo que siempre he llevado cerca y a lo que siempre aspiré a llegar; mi padre es Catedrático Emérito de nuestra Universidad y un referente para mí y muchas otras personas.

Además, profesionalmente es el pago a mucho amor propio, a veces reprimido o escondido, porque la vida universitaria es gratificante si es vocacional, pero tiene muchos escalones en medio del camino. Han sido 25 años de carrera y en medio, dos hijas maravillosas, con una madre que siempre corre y que a veces no está todo lo que las tres quisiéramos que estuviera, además de quitar muchas horas al sueño para buscar tiempo.

 DM.- También participa en el Máster Universitario en Odontología Médico-Quirúrgica e Integral, impartiendo la asignatura de Prácticas Externas. ¿Cuál es el objetivo de esta formación?

La vida universitaria es gratificante si es vocacional, pero tiene muchos escalones en medio del camino ”

Dra. M.A.S.F.- Esta formación es hoy en día el culmen de los estudios universitarios, quedando sólo por encima el Doctorado. Pero el Máster Oficial, tanto el que imparto como los otros dos que existen en la Facultad de Sevilla, cumplen con un grado de excelencia y calidad que dudo mucho que otros cumplan. Los títulos propios por supuesto no lo hacen, oficiales tendría que verlo... Soy Vicedecana de Calidad e Innovación Docente de nuestra Facultad y me encargo de que los parámetros de Calidad en todos los aspectos sean los más altos. Formamos a alumnos en cada área en la excelencia del campo elegido. Mi signatura, que llevo junto a quien la coordina, el Dr. Machuca, forma al alumno en la habilidad de hacer cirugía y poner implantes, pero en unos pacientes que sistémicamente se encuentran muy precarios o en condiciones que en cualquier otra clínica serían desterrados o condenados a una prótesis removible de por vida. No todos lo profesionales saben o quieren meterse con un tipo de paciente frágil o medicamente comprometido, que no le reporte dinero fácil y sin complicaciones.

 DM.- En líneas generales, ¿qué es lo que más le apasiona de su faceta como docente?

Dra. M.A.S.F.- Llevo la docencia en las venas, me apasiona. Me hace feliz formar a los alumnos, a la vez porque me apasiona la odontología. Y ambas cosas juntas forman una combinación explosiva, que es ser feliz dando docencia en Odontología.

 DM.- Desde el 6 de abril de 2021 ocupa el cargo de Vicedecana de Gestión de la Calidad e Innovación Docente de la Facultad de Odontología de la Universidad de Sevilla. ¿Cómo trabajan desde este decanato para promover la calidad y la innovación entre los docentes?

Dra. M.A.S.F.- Este tema ha sido un reto. Comenzó con una conversación con mi Decano, el Dr. José Luis Gutiérrez, y terminó con 5 años al frente de la Calidad de la Facultad.

La calidad no es fácil, he tenido ayuda externa cuando la he necesitado, pero es sobre todo mucho estudio en pequeños detalles que marcan la diferencia entre lo corriente y la excelencia; y he descubierto que esa diferencia marca un antes y un después entre lo que quieres en tu vida y lo que no, en cualquier ámbito. Siempre querrás en todos los aspectos de tu vida la excelencia, no te conformarás con menos.

Y como la Facultad es mi casa, todo lo que baje de excepcional, ya no te conforma. Hemos conseguido 5 años seguidos el sello ISO 9001 de Aenor, que nos distinguen como calidad y hemos superado todas las auditorías del sistema público de control de Universidades, Aneca y Accua, tanto en el grado y en la clínica odontológica como en los Máster Oficiales.

Es decir, la Facultad de Odontología de la Universidad de Sevilla se ha acreditado en Calidad en todos sus aspectos. Me siento orgullosa de ello, por mi trabajo y por el de todos mis compañeros de la Facultad que se han acoplado a los protocolos establecidos para no bajar ya de esa calidad.

 DM.- En este sentido, ¿cuáles son los factores claves de la formación de los profesores noveles en Odontología?

Dra. M.A.S.F.- Los profesores noveles son el futuro, yo lo fui en mi momento y me sirvió de mucho, así como trabajar en la innovación docente. Ahora, ya como veterana, ayudo y animo, así como tutorizo, a aquél que quiere entrar en ese mundo en profundidad, porque significará que la docencia empieza a picar en la piel...

Hemos conseguido 5 años seguidos el sello ISO 9001 de Aenor, que nos distinguen como calidad y hemos superado todas la auditorías del sistema público de control de Universidades, Aneca y Accua, tanto en el grado y en la clínica odontológica como en los

Máster Oficiales

 DM.- En su opinión, ¿qué papel tiene la innovación para alcanzar la excelencia docente?

Dra. M.A.S.F.- Teniendo en cuneta los cambios que vienen pasando desde hace 25 años hasta ahora, la innovación es fundamental, aunque las clases magistrales deben mantenerse y las apoyo 100%. Pero con tanta novedad en la profesión, hay que buscar la forma de incluirla en la docencia y hay muchas novedades que se escapan de la clase magistral y hay que buscar captar el interés del alumno y que además el concepto se lo lleve asumido.

 DM.- A lo largo de su carrera ha participado en varias líneas de investigación, formando parte de grupos de investigación. ¿En qué ámbitos de la Odontología se centran sus principales líneas de investigación?

Dra. M.A.S.F.- Actualmente una línea fuerte es la del estudio de las limitaciones génicas de determinados pacientes sindrómicos, con la incompatibilidad en la colocación y mantenimiento de implantes en boca.

Hemos empezado por el síndrome de Down, pero seguimos con más y buscando opciones. Son pacientes que merecen una oportunidad de vida mejorada.

 DM.- Usted es vicepresidenta del Comité Organizador del XVII Congreso Nacional de la Sociedad Española de Odontoestomatología en Pacientes con Necesidades Especiales, que tendrá lugar los días 14 y 15 de noviembre de 2025 en Sevilla. ¿Cómo valora este tipo de reuniones para mantener la formación continua odontológica en pacientes con necesidades especiales?

Dra. M.A.S.F.- En nuestro ámbito de los pacientes medicamente comprometidos o frágiles, considero que merecen que sepamos aportarles una calidad de vida mejor y el estudio continuo de sus problemas para poder contar con una oferta de tratamiento completa y segura.

 DM.- ¿Cómo se debería tratar a un paciente con necesidades especiales en la clínica dental?

Dra. M.A.S.F.- Como a un paciente normal, siempre y cuando conozcas y controles su patología y el paciente esté seguro contigo porque controlas. No vale jugar a la ruleta rusa o tener licencia para matar porque no me estudié en su día ese tema. Si no sabes, por favor, no te metas y deriva.

 DM.- También ejerce como dentista en el Hospital Infanta Luisa de Sevilla. ¿Cómo compagina su trabajo en la universidad y la investigación con la práctica clínica?

Dra. M.A.S.F.- El trabajo en el Hospital, aunque trabajo pocas horas, es para el tratamiento de aquellos pacientes tipo ASA III o IV cuyo tratamiento es en ámbito hospitalario o en quirófano. De ahí mi conveniencia desde hace tiempo del Hospital. Hacemos simbiosis.

 DM.- Teniendo en cuenta su trayectoria profesional, ¿cómo ve la situación del sector de la odontología actualmente?

Dra. M.A.S.F.- Parece que no nos pintan muy bien, pero sobre todo aquel que se mueva por dinero. Quien se mueva por vocación, que no caridad, salvo que quiera, creo que con el envejecimiento progresivo de la población y la aparición por tanto de pacientes con más patología, quien sepa, quien estudie y quien se deje llevar por su vocación, puede que no sea rico, pero vivirá bien y será altamente feliz. 

¿A qué esperas para ponerlo a prueba?

No te quedes atrás. Impulsa la transformación digital en tu clínica con el Invisalign Digital Mentoring.

Gracias al escáner intraoral iTero y al sistema Invisalign Go podrás ofrecer tratamientos mínimamente invasivos a tus pacientes en un flujo digital integrado.

¿Y si la odontología del futuro ya estuviera aquí… y solo tuvieras que activarla?

PLANIFICACIÓN DIGITAL EN

EL TRATAMIENTO ORTO-RESTAURADOR.

REPORTE

DE UN CASO

Integración de ortodoncia mediante el sistema Invisalign Go™ para facilitar la restauración en una rehabilitación integral siguiendo los conceptos de mínima invasión en un paciente con desgaste severo.

Introducción

La práctica odontológica contemporánea exige un enfoque multidisciplinar, especialmente en casos que requieren la combinación de tratamientos ortodóncicos y restauradores. La colaboración entre especialidades ha demostrado ser esencial para lograr resultados estéticos y funcionales que sean estables y predecibles a largo plazo.

La adopción de flujos de trabajo digitales ha transformado esta colaboración. El uso de registros tridimensionales, diseños virtuales del plan de tratamiento, y la capacidad de compartir información entre profesionales aseguran una mayor precisión diagnóstica, planificación adaptada al paciente y reducción de la invasividad de los procedimientos, contribuyendo además a una mayor satisfacción de los pacientes.

Dentro de estas tecnologías, el concepto de Prosthetic Guided Orthodontics (PGO) ortodoncia guiada por objetivos protésicos ha emergido como una herramienta eficaz (1,2). En particular, el sistema Invisalign Go™ permite una planificación ortodóncica previa al tratamiento protésico, facilitando la posición e inclinación dental ideales para minimizar la eliminación de tejido dental y optimizar la estabilidad oclusal.

Adicionalmente, estudios recientes sugieren que los protocolos de “clear aligner therapy” orientados a la restauración como Invisalign Go™, permiten alcanzar los objetivos restauradores en plazos más cortos (entre 3,5 y 6 meses) en comparación con sistemas convencionales lo que refuerza su predictibilidad e idoneidad en odontología mínimamente invasiva. (3,4,5)

El presente artículo describe un caso clínico de rehabilitación orto-restauradora planificada digitalmente e integrada con ortodoncia mediante Invisalign Go™. Este caso ejemplifica el valor clínico de

unir odontología digital y acercamientos interdisciplinarios, siguiendo una línea basada en evidencia para alcanzar resultados óptimos y sostenibles.

Presentación del caso

Paciente varón de 51 años que acudió a la Clínica Universitaria Odontológica (CUO) de la Universitat Internacional de Catalunya motivado por la necesidad de mejorar tanto su salud bucal como la estética de su sonrisa. El paciente manifestaba sensibilidad dental frecuente, especialmente al frío, episodios de incomodidad funcional durante la masticación y una marcada disconformidad con la apariencia estética de sus dientes. Entre sus principales expectativas destacó el deseo de obtener una rehabilitación integral que le proporcionara confort funcional y un resultado estético natural, siempre evitando procedimientos quirúrgicos o tratamientos excesivamente invasivos.

En cuanto a sus antecedentes médicos, el paciente refirió un episodio previo de reflujo gástrico controlado mediante cambios dietéticos y sin necesidad de tratamiento farmacológico continuado. No presentó otros antecedentes médicos o quirúrgicos de relevancia, y negó alergias medicamentosas conocidas.

Respecto a los hábitos, el paciente reportó una dieta variada, sin consumo excesivo de azúcares, y ausencia de hábitos nocivos como tabaquismo o bruxismo consciente, si bien refirió episodios ocasionales de tensión mandibular asociados a situaciones de estrés. No presentaba antecedentes familiares relevantes relacionados con patologías orales o sistémicas de interés odontológico.

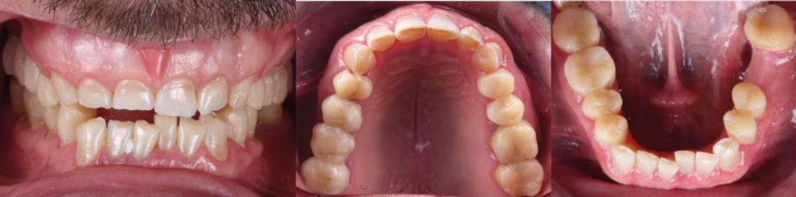
En la exploración clínica inicial se observaron signos compatibles con desgaste dental generalizado, pérdida de estructura dentaria a nivel incisal y oclusal, y presencia de restauraciones previas con

distintos grados de desajuste marginal. Se evidenció también una leve recesión gingival localizada y alteraciones en la alineación dentaria que afectaban a la estética de la sonrisa. El estado periodontal general era aceptable, con índices de placa y sangrado controlados, sin presencia de movilidad dentaria significativa.

Este conjunto de hallazgos clínicos, sumados a la preocupación estética y funcional del paciente, orientaron la necesidad de un plan de tratamiento interdisciplinar que permitiera rehabilitar la función y armonizar la sonrisa de manera mínimamente invasiva.

Hallazgos clínicos iniciales

 Desgaste dental generalizado, compatible con erosión en palatinos de sector anterior superior y caras oclusales posteriores.

 Atrición en bordes incisales superiores e inferiores.

 Lesiones cervicales no cariosas (abrasiones por cepillado y abfracciones por sobrecarga oclusal).

 Presencia de puente metal-cerámica 1.5–1.7, con ausencia de piezas 1.6 y 3.6.

 Apiñamiento dental en incisivos inferiores y retroinclinación de incisivos superiores (torque negativo), diagnosticándose Clase II subdivisión 2.

Análisis estético

 Dientes cortos.

 Desgaste incisal irregular.

 Sonrisa alta con exposición gingival excesiva (“gummy smile”).

 Desbalance entre estética rosa y estética blanca.

 Canting anterosuperior.

Registros diagnósticos

Registros y planificación digital

Se recopilaron registros clínicos como fotografías extraorales e intraorales (Fig. 1–6) y digitales completos, incluyendo escaneados intraorales y registros de movimientos mandibulares. Los datos se integraron en un articulador virtual mediante el software de diseño digital (Exocad), montando los modelos maxilares, archivo de movimientos mandibulares y horquilla en formato STL.

Encerado diagnóstico

Se realizó un encerado diagnóstico digital orientado a restablecer la morfología dental bajo criterios estéticos y funcionales. La incorporación de los registros mandibulares permitió ajustar el diseño a los movimientos dinámicos del paciente, evitando interferencias y contactos prematuros.

Dra. Judy Al Droubi DDS, MSc. Alumna del Máster en Odontología Restauradora Estética (MORE), Universitat Internacional de Catalunya (UIC).

Dr. Roberto Manrique DDS, MSc. Profesor del Máster en Odontología Restauradora Estética (MORE).

Dr. Miguel Roig Cayón DDS, PhD. Catedrático del Departamento de Odontología Restauradora, Universitat Internacional de Catalunya (UIC).

Figura 1-3. Secuencia fotográfica extraoral inicial.

Figura 4-6. Análisis de la sonrisa del paciente.

caso clínico

Determinación de la Dimensión Vertical en Oclusión (DVO)

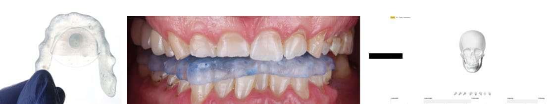
Se planificó un aumento de ambas arcadas. La nueva dimensión vertical de oclusión (DVO) se determinó mediante un arco gótico y se validó con registros de movimientos laterales y protrusivos obtenidos con el sistema Zebris (Fig. 7–9). Y se procedió a realizar un CBCT con arco gótico colocado para validar la posición intermaxilar.

Planificación del tratamiento

Se estableció un tratamiento combinado:

1. Ortodoncia Invisalign Go™: corrección de apiñamiento inferior, aumento de resalte y optimización de márgenes gingivales.

2. Rehabilitación protésica: carillas anteriores e incrustaciones de disilicato de litio, junto con puentes posteriores en zirconia monolítica (1.5–1.7 y 3.5–3.7).

3. Provisionalización posterior con técnica de composite estampado y guías de silicona transparente (Fig. 10–21).

Provisionalización y planificación ortodóncica

Se decidió provisionalizar únicamente el sector posterior (Fig. 22-24), en lugar de ambos sectores (anterior y posterior), con el objetivo de facilitar el espacio necesario para los movimientos ortodóncicos y desbloquear el sector anterior, permitiendo así una mayor libertad de desplazamiento dental. El paciente fue informado previamente de que, durante la fase ortodóncica, presentaría una mordida abierta anterior y provisionales posteriores de larga duración. Asimismo, se le explicó que al finalizar el tratamiento se observarían diastemas en los incisivos superiores, consecuencia de la inclinación vestibular planificada, considerando que dichos dientes serían posteriormente restaurados. Para la colocación de los provisionales de composite se empleó un sistema adhesivo autograbante con grabado selectivo del esmalte, con el fin de evitar sensibilidad postoperatoria y lograr un sellado inmediato de la dentina, dado el grado de exposición re-

Figura 7-9. Registros tomados mediante uso de un arco gótico digitalmente diseñado junto con registro de movimientos dinámicos.
Figura 10-17. Encerado digital para guiar el tratamiento ortodóntico y restaurador.
Figura 18-21. Provisionalización con técnica de estampado.

sultante del desgaste severo. Una vez establecida la provisionalización de larga duración y determinada la nueva dimensión vertical de oclusión, se tomaron los registros necesarios para iniciar la fase de alineación ortodóncica con el sistema Invisalign Go™. Dichos registros incluyeron escaneados intraorales de ambas arcadas y una secuencia fotográfica completa obtenida mediante la aplicación Invisalign PracticeApp®.

Tratamiento ortodóncico

A través de la planificación digital en el ClinCheck® Software, se determinaron los movimientos ortodóncicos indicados, que incluyeron: aumento del resalte, corrección del apiñamiento inferior y una combinación de intrusión y extrusión con el objetivo de nivelar márgenes gingivales. Todos estos mo-

vimientos fueron diseñados considerando la fase restauradora posterior. El resultado de la planificación digital de los movimientos ortodóncicos obtuvimos: 19 alineadores en total, 7 superiores y 19 inferiores, los cuales se indicaron cambios cada 7 días como recomienda la casa comercial y se le explicó al paciente la importancia de utilizar los alineadores entre 20 a 22 horas al día. En dicha planificación también se aplicaron ataches estratégicos y se realizaron desgastes interproximales (IPR 0,2–0,3 mm). Se realizaron controles periódicos cada 4 alineadores, en los cuales observamos mejoras progresivas del apiñamiento inferior y la generación controlada de diastemas superiores tal como los planificamos en el software.

22-24
Figura 22-24. Provisionalización solo en sector posterior.
25-27
Figura 25-27. Posición inicial en el ClinCheck.
28-30
Figura 28-30. Posición final en el ClinCheck.

caso clínico

Fase restauradora

Una vez concluido el alineamiento y verificado que hemos conseguido los movimientos planificados se procedió a realizar:

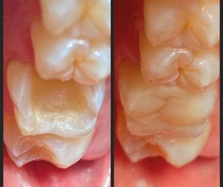
 Reconstrucciones palatinas adhesivas mínimamente invasivas para devolver la anatomía ideal y evitar concavidades que podrían generar puntos de estrés máximo a las restauraciones cerámicas (Fig. 35-38).

 Preparación mediante mock-up validado por el paciente: una vez finalizada la utilización de los alineadores se escaneó nuevamente al paciente con la posición final para enviar al laboratorio y realizar un encerado digital, dicho encerado lo probamos en boca y tanto el paciente como el operador aprobaron la forma y tamaño. Una vez aprobado nos sirve de guía para la preparación y valoración de grosores para las futuras restauraciones cerámicas (Fig. 39-41).

 Cementación adhesiva bajo aislamiento absoluto de las restauraciones cerámicas siguiendo el protocolo establecido para el tipo de material utilizado. El aislamiento absoluto nos da la garantía de conseguir una adhesión de alto grado dándonos la confianza de que el tratamiento será predecible y duradero en el tiempo (Fig. 42-48).

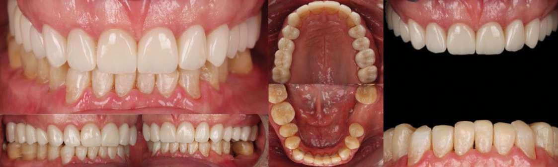
 Resultado final: podemos observar la correcta integración de las restauraciones en la boca del paciente y cómo logramos conseguir una armonía tanto oclusal como estética para el paciente. En las fotografías podemos observar cómo por motivos personales del paciente la arcada inferior está en fase de provisionales de larga duración, los cuales se realizaron con composite inyectado, a la espera de que el paciente nos solicite el cambio a restauraciones cerámicas (Fig. 49-61).

Figura 31-34. Entrega de alineadores, cementado de ataches y comprobación de ajuste óptimo. 35-38
Figura 35-38. Reconstrucciones palatinas. 39-41
Figura 39-41. Tallado mediante mock-up.

42-48

Figura 42-48. Proceso de cementado.
49-55
Figura 49-55. Fotografías intraorales finales.
56-58
Figura 56-58. Fotografías extraorales finales.

caso clínico

Figura 59-61. Fotografías extraorales complementarias.

59-61

Discusión

Este caso clínico refleja la importancia de la planificación interdisciplinar en odontología, especialmente en pacientes que presentan desgaste dental severo con compromiso funcional y estético. La incorporación de la odontología digital no solo optimiza la comunicación entre el ortodoncista y el restaurador, sino que además permite una visualización previa del resultado final, lo que incrementa la aceptación y motivación del paciente hacia el tratamiento.

El uso del arco gótico digital y registros dinámicos mandibulares fue fundamental para restablecer una dimensión vertical de oclusión adecuada, respetando la fisiología articular y evitando desórdenes temporomandibulares. Asimismo, la integración con el software Exocad permitió diseñar restauraciones ajustadas a los movimientos mandibulares, minimizando interferencias oclusales y garantizando un ajuste funcional más preciso.

En cuanto al tratamiento ortodóncico, el sistema Invisalign Go™ ofreció ventajas significativas frente a la ortodoncia convencional: mayor comodidad para el paciente, estética durante el proceso y control digital detallado de los movimientos. La posibilidad de generar diastemas controlados y redistribuir el espacio fue clave para permitir restauraciones más conservadoras y armónicas, evitando desgastes excesivos en dientes adyacentes. Comparado con tratamientos convencionales que implican cirugías periodontales (gingivectomías, alargamientos coronarios) o rehabilitaciones más invasivas (fundas completas), este enfoque se muestra como una alternativa mínimamente invasiva, respetuosa

Bibliografía

- Blasi A, Blasi I, Henarejos-Domingo V, Castellano V, Blasi JI, Blasi G. The PGO concept: Prosthetically guided orthodontics concept. J Esthet Restor Dent. 2022 Jul;34(5):750758. doi: 10.1111/jerd.12825. Epub 2021 Oct 6. PMID: 34612577.

- Venezia P, Ronsivalle V, Isola G, Ruiz F, Casiello E, Leonardi R, Lo Giudice A. Prosthetically Guided Orthodontics (PGO): A Personalized Clinical Approach for Aesthetic Solutions Using Digital Technology. J Pers Med. 2022 Oct

con la estructura dental remanente y predecible en resultados.

Finalmente, es importante resaltar que la odontología digital no sustituye la experiencia clínica, sino que actúa como una herramienta potenciadora que mejora la precisión diagnóstica, optimiza la planificación y reduce los márgenes de error, siempre bajo un abordaje multidisciplinar coordinado.

Conclusión

La combinación de planificación digital, ortodoncia con alineadores transparentes e integración restauradora adhesiva permitió resolver un caso de desgaste dental severo de manera conservadora, estética y funcional. Este caso pone de manifiesto que:

 La odontología digital facilita un diagnóstico más completo y preciso.

 Los alineadores Invisalign Go™ constituyen una herramienta eficaz en tratamientos orto-restauradores cuando se requiere espacio para rehabilitación estética.

 El uso de mock-ups y restauraciones adhesivas mínimamente invasivas ofrece resultados altamente predecibles, conservando la mayor cantidad posible de estructura dental sana.

 La sinergia entre ortodoncia y restauración mejora la estabilidad a largo plazo, tanto funcional como estética. En conclusión, este caso clínico demuestra que la integración de flujos digitales y terapias mínimamente invasivas representa una nueva era en odontología restauradora y ortodóncica, donde el objetivo ya no es solo rehabilitar, sino hacerlo de forma personalizada, precisa y con el menor sacrificio de tejido dentario posible. 

14;12(10):1716. doi: 10.3390/jpm12101716. PMID: 36294855; PMCID: PMC9605514.

- On Tse RT. Merging Clear Aligner Therapy With Digital Smile Design to Maximize Esthetics and Minimize Tooth Reduction. Compend Contin Educ Dent. 2019 Feb;40(2):100-106. PMID: 30767551.

- Fialho T, de Freitas KMS, Ohira ETB, de Souza JEP, de Oliveira RCG, de Oliveira RCG, Valarelli FP, Pinzan-Vercelino CRM, Cotrin P. Comparison of the efficiency of initial dental

alignment with Invisalign® aligners changed every 7 or 14 days in mature adults: Randomized clinical trial. Orthod Craniofac Res. 2024 Aug;27(4):544-551. doi: 10.1111/ ocr.12766. Epub 2024 Feb 6. PMID: 38321815.

- Weinstein T, Marano G, Aulakh R. Five-to-five clear aligner therapy: predictable orthodontic movement for general dentist to achieve minimally invasive dentistry. BMC Oral Health. 2021 Dec 29;21(1):671. doi: 10.1186/s12903021-02034-9. PMID: 34965879; PMCID: PMC8717640.

¿Encías inflamadas? No, yo uso

DOS NUEVAS FÓRMULAS PARA

PREVENIR Y TRATAR LA GINGIVITIS

Parogencyl Encías Control y Parogencyl Encías Forte te ayudan en el cuidado de las encías.

La gingivitis o inflamación de las encías es uno de los problemas más frecuentes que puede padecer nuestra boca. Según un estudio de Images en Dermatologie, afecta a 8 de cada 10 adultos a lo largo de su vida. Se refleja en síntomas como la hinchazón o la rojez de las encías, pero también puede llegar a generar sangrados durante el cepillado. Si se trata adecuadamente solo produce molestias temporales, pero, si no se cuida a tiempo, puede llegar a destruir los tejidos gingivales y conducir a enfermedades más graves como la periodontitis, que ataca los tejidos óseos y puede provocar la pérdida de piezas dentales. La causa directa de la gingivitis es la acumulación

de placa dental que se deposita en la superficie de los dientes y las encías. Las bacterias contenidas en la placa dental, si no se eliminan con una adecuada higiene bucal, se combinan con los minerales de nuestra saliva, calcificándose y formando así una capa dura, el sarro, el cual se adhiere a la superficie de los dientes y puede llegar a provocar una infección crónica. Los motivos de esta situación, aparte de una deficiente higiene bucal, pueden ser muy variados como el tabaquismo, la diabetes, la acción de ciertas enfermedades, los efectos secundarios de algunos medicamentos, cambios hormonales, el estrés, deficiencias nutricionales o problemas con prótesis dentales.

Ayudar a prevenir la gingivitis con Parogencyl Encías Control

Para ayudar a prevenir la gingivitis, además de unos hábitos de higiene oral adecuados y un control periódico por parte del odontólogo, es recomendable la utilización de una pasta de dientes específica con acción antibacteriana sobre la placa dental que ayude a reducir el riesgo de inflamación de las encías y el sangrado ocasional. Es el caso de Parogencyl Encías Control, que ahora cuenta con una nueva fórmula mejorada que contiene un 3% de mineral de Zinc, para limitar la acumulación de placa y prevenir la inflamación gingival, flúor (1.450 ppm F) para fortalecer el esmalte y ayudar a prevenir la caries, y Vitamina E, un potente antioxidante que combate los radicales libres y ayuda a combatir la irritación de las encías.

Se ha demostrado clínicamente* que el cepillado con Parogencyl Encías Control dos veces al día durante dos minutos, mejora el estado de las encías del 97% de las personas que lo han utilizado.

Además, se recomienda que el cepillado se realice con un cepillo de dientes adecuado y se complemente con un enjuague bucal de uso diario, como el Colutorio Parogencyl Encías Control.

Ayudar a tratar la gingivitis con Parogencyl Encías Forte

Si ya se padece gingivitis, un cuidado adecuado puede ayudar a revertir la situación y que no derive en una periodontitis. En primer lugar, es esencial consultar a tu odontólogo para analizar los síntomas, efectuar un examen completo de boca y dientes y realizar, si lo estima necesario, una actuación específica para eliminar el sarro encima y debajo de la encía y en los espacios interdentales. Para esta primera fase se recomienda la utilización de un dentífrico que contribuya a reducir síntomas clásicos como la inflamación y el enrojecimiento ocasional de las encías. La nueva fórmula de Parogencyl Encías Forte actúa como tratamiento de choque de la gingivitis gracias a componentes como la Clorhexidina, el ingrediente de referencia para los profesionales, para ayudar a reducir la acumulación de placa bacteriana, causante principal de la gingivitis. Además, se ha introducido Vitamina B3, más conocida como Niacinamida, que ayuda a reducir la inflamación de las encías y el flúor, con 1.4500 ppm F, para mantener una adecuada protección anticaries y fortalecer el esmalte durante su uso. Se recomienda utilizar Parogencyl Encías Forte para ayudar a tratar la gingivitis durante tres semanas dos veces al día durante tres minutos, acompañado de un cepillo de dientes adecuado, como Parogencyl Encías delicadas (Extra Suave), especialmente desarrollado para aquellas personas con

encías sensibles cepillando verticalmente desde la encía hasta el final del diente, sin olvidar la lengua y concluyendo con un enjuague. Su eficacia está clínicamente probada desde la primera semana**. Una vez cumplidas estas tres semanas de uso, podemos volver a una rutina preventiva con la utilización de Parogencyl Encías Control, y el Colutorio Parogencyl Encías Control, además de adoptar hábitos saludables como una dieta equilibrada y una buena higiene bucal. Con todas estas recomendaciones y la utilización de los productos adecuados, evitaremos las molestias asociadas a la gingivitis y el riesgo de contraer enfermedades más graves, que generen tratamientos más largos y costosos.

*Estudio clínico durante 13 semanas comparado con un dentífrico fluorado estándar. **Estudio en vivo.

Descubre más en www.parogencyl.es

TÉCNICA MÍNIMAMENTE

INVASIVA PARA

EL REEMPLAZO DE UN INCISIVO CENTRAL

SUPERIOR: ENFOQUE INTEGRAL QUIRÚRGICO

Y PROTÉSICO

La colocación de implantes en el sector estético requiere un enfoque clínico individualizado que considere tanto factores anatómicos como biológicos. En el presente caso clínico se presenta la rehabilitación de un incisivo central mediante un implante corto y estrecho, con el objetivo de preservar al máximo el lecho óseo, facilitando una eventual reintervención futura, si fuese necesaria, y asegurando una mayor vascularización alrededor del implante, al conservarse el aporte sanguíneo proveniente del hueso adyacente. El protocolo seguido incluye, además, la colocación temprana del implante y una secuencia protésica basada en el uso de transepiteliales unitarios y interfases.

Contacto: Dr. Eduardo Anitua eduardo@fundacioneduardoanitua.org

Introducción

La colocación de implantes en el sector anterosuperior representa uno de los mayores desafíos dentro de la implantología estética1-3. Este reto se intensifica cuando se trata de reemplazar una única pieza dental perteneciente al grupo de los cuatro incisivos superiores, protagonistas fundamentales de la sonrisa2. En estas situaciones, lograr una integración armónica del implante en el conjunto del rostro, tanto desde el punto de vista estético como funcional, constituye uno de los principales objetivos clínicos2,4-6

En un intento por satisfacer las altas demandas estéticas de esta zona, es común recurrir a la colocación de implantes inmediatos, frecuentemente acompañados de carga inmediata7-8. Sin embargo, esta estrategia, aunque tentadora por su aparente inmediatez y comodidad para el paciente, no siempre es la más adecuada desde un punto de vista biológico y a largo plazo. Diversos estudios han demostrado que, tras la exodoncia, especialmente en el sector anterior, se produce inevitablemente una reabsorción del hueso alveolar, en particular del llamado “bundle bone”, una estructura ósea dependiente directamente del diente natural. La pérdida de este hueso puede comprometer seriamente el

resultado estético final, afectando no solo la arquitectura ósea, sino también los tejidos blandos de soporte, lo cual puede derivar en recesiones, colapsos del perfil gingival y desarmonía en la línea de la sonrisa1-4,9-12. Por esta razón, está ganando cada vez más aceptación un enfoque alternativo: la colocación diferida del implante, en especial mediante lo que se conoce como inserción temprana13-15. Este protocolo consiste en dejar cicatrizar el alveolo durante un período controlado, habitualmente entre 4 y 8 semanas tras la extracción dental, antes de realizar la implantación16-17. Este protocolo de inserción temprana permite una estabilización inicial de los tejidos blandos y una resolución parcial del proceso de reabsorción ósea fisiológica, lo que conlleva múltiples ventajas. Entre ellas, destacan una mayor predictibilidad quirúrgica y mayor regeneración de tejido blando14-17. En consecuencia, se favorece un entorno más estable y favorable para la integración del implante y la posterior rehabilitación protésica, contribuyendo significativamente al éxito estético y funcional del tratamiento. La elección del momento adecuado para la colocación del implante debe, por tanto, basarse en criterios clínicos objetivos y en un diagnóstico integral, más allá de las expectativas inmediatas del paciente.

La selección de la prótesis, al igual que la elección del tipo de implante, del momento quirúrgico y de la técnica empleada, requiere un análisis minucioso, especialmente cuando se trata del sector estético. En esta zona de alta exigencia funcional y visual, cada decisión clínica tiene un impacto directo en el resultado final. En este contexto, el uso de componentes transepiteliales para la realización de prótesis unitarias constituye un enfoque contemporáneo que ofrece importantes ventajas biomecánicas y biológicas18-20. Estos pilares permiten trasladar el punto crítico de unión entre el implante y la restauración a una posición más coronal, alejándolo del entorno óseo y del tejido conectivo profundo. Esta estrategia no solo mejora la precisión del ajuste y el sellado del conjunto, sino que también crea un mayor espacio para los tejidos blandos periimplantarios, favoreciendo su estabilidad y reduciendo el riesgo de retracción gingival asociada a la compresión mecánica o a la filtración bacteriana19-20 Cuando este componente transepitelial se combina con el uso de interfases protésicas, se logra una mejora sustancial en la calidad de la restauración. La interfase es una estructura intermedia, diseñada con tecnología de microfresado de alta precisión, que conecta la corona con el transepitelial. Este elemento actúa como una unidad aislada y pasivamente ajustada, lo que permite llevar a cabo un cementado extraoral en frío. Al evitar la exposición de la corona a múltiples ciclos térmicos en el horno durante su fabricación o caracterización, se minimizan las posibles distorsiones dimensionales y se garantiza un ajuste más estable y duradero21-24.Este protocolo, que permite confeccionar una corona atornillada indirectamente, aúna los beneficios del atornillado —como la retratabilidad y el control del torque— con la precisión estructural y estética del cementado controlado, sin comprometer la integridad del sistema ni la salud de los tejidos periimplantarios. Todo ello, sumado a la filosofía de nuestro grupo de estudio orientada a conservar al máximo el lecho óseo en la zona de inserción del implante, y respaldado por estudios biomecánicos que sustentan la teoría de que no es necesario recurrir a implantes más largos o más anchos para obtener un comportamiento biomecánico óptimo a largo plazo, nos permite abordar la rehabilitación de zonas estéticas con un menor impacto en la biología periimplantaria25-27. En este contexto, el uso combinado de componentes transepiteliales e interfases protésicas representa una estrategia avanzada y altamente eficaz en la rehabilitación implanto-

soportada, especialmente en áreas de alta exigencia estética, donde la excelencia clínica y la preservación de los tejidos son objetivos prioritarios, así como la predictibilidad de los resultados. En el presente caso clínico se presenta la rehabilitación de un incisivo central mediante un implante corto y estrecho, con el objetivo de preservar al máximo el lecho óseo, facilitando una eventual reintervención futura, si fuese necesaria, y asegurando una mayor vascularización alrededor del implante, al conservarse el aporte sanguíneo proveniente del hueso adyacente. El protocolo seguido incluye, además, la colocación temprana del implante y una secuencia protésica basada en el uso de transepiteliales unitarios y interfases, tal como se ha descrito previamente.

Caso clínico

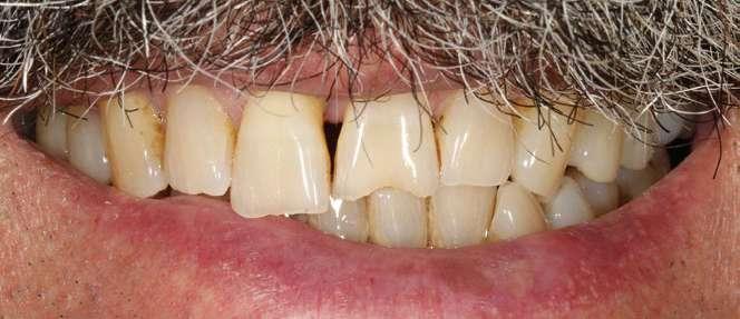
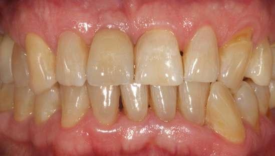
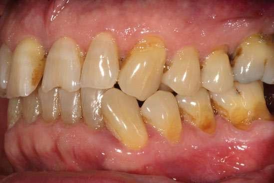
Presentamos el caso de un paciente masculino de 61 años de edad, bruxista, con evidentes desgastes en toda la dentición y cracks de esmalte que pueden observarse en las fotografías iniciales de la primera visita (figuras 1 y 2). En las fotografías

Dr. Eduardo Anitua DDS, MD, PhD1,2,3

1Private practice in oral implantology, Eduardo Anitua Institute, Vitoria, Spain.

2Clinical researcher, Eduardo Anitua Foundation, Vitoria, Spain.

3 University Institute for Regenerative Medicine and Oral Implantology - UIRMI (UPV/EHUFundación Eduardo Anitua), Vitoria, Spain.

Figuras 1 y 2. Imágenes intraorales de la primera visita donde se hacen evidentes diferentes desgastes en los dientes anteriores y a mayor detalle crakcs en el esmalte, así como lesiones por abfracción en los cuellos de los dientes de los premolares y caninos superiores.

caso clínicoIMPLANTOLOGÍA

laterales se ponen de manifiesto aún más varias lesiones de esmalte que indican la parafunción en el paciente, unido a los desgastes excesivos en varias zonas (figuras 3 y 4). El paciente acude por dolor y movilidad en la pieza 11, que se ha incrementado en los últimos días, además de sensación de “diente crecido” que como podemos ver en las fotografías iniciales es real, ya que el diente se encuentra ligeramente extruido en relación con el contralateral. Estos signos parecen indicarnos una fractura o fisura. En la fotografía oclusal, podemos observar el desplazamiento del diente debido a la movilidad (figura 5). Posteriormente se realiza un sondaje positivo de la pieza, que lleva a 11 mm por lo que se confirma la sospecha de fractura y se procede a la exodoncia del diente, realizándose una regeneración posterior del alveolo con PRGF-Endoret y

esperándose 4 semanas hasta el cierre de los tejidos blandos y la neoformación ósea inicial para la colocación de un implante temprano. Cuatro semanas después, realizamos un cone-beam de control para conocer el estado del tejido óseo y poder planificar el implante. En el corte seccional observamos que se ha regenerado por completo el lecho receptor y tenemos un hueso óptimo para la inserción del implante, que por el tiempo transcurrido además es muy sencillo de expandir, con el propio implante generándose una expansión atraumática que nos permitirá ganar anchura ósea y con un implante estrecho de 3,5 mm de diámetro logramos posicionarlo sin dañar la desembocadura del nervio incisivo (figura 6). En cuanto a la longitud, con 7,5 es suficiente, no necesitándose un tamaño mayor para un correcto rendimiento biomecánico posterior.

Figuras 3 y 4. Fotografías laterales donde se evidencian los cracks de esmalte en varios dientes y los desgastes excesivos en varios puntos. En estas imágenes se hacen más evidentes las lesiones por abfracción.
Figura 5. Toma oclusal donde se hace evidente el desplazamiento del diente por el que consulta el paciente, que parece indicarnos una gran pérdida ósea a ese nivel.
Figura 6. Corte seccional de planificación del implante donde observamos el volumen óseo regenerado y la disposición del implante que se va a insertar por delante de la desembocadura del nervio incisivo.

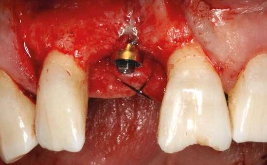
Colocamos el implante generándose una ligera expansión vestibular, como mostramos en las imágenes intraoperatorias, para posteriormente ser sobrecorregido con hueso autólogo obtenido del fresado, embebido en PRGF-endoret y lograr una mayor anchura vestíbulo-lingual en la zona de colocación del im-

plante, clave para lograr una mejor estética y además un mantenimiento de los tejidos periimplantarios a largo plazo. En la fase quirúrgica colocamos además el transepitelial unitario para la realización de la carga inmediata y la colcación de un provisional atornillado horas después de la cirugía (figuras 7-14).

Figuras 7 y 8. Perforación inicial y colocación del implante expandiendo la zona vestibular.
Figuras 9 y 10. Visión vestibular tras la inserción del implante y colocación del transepitelial unitario para comenzar la carga inmediata.
Figuras 11 y 12. Sobre-corrección vestibular y cierre primario de los tejidos con un monofilamento no reabsorbible alrededor de la tapa de protección del transepitelial.

caso clínicoIMPLANTOLOGÍA

Transcurridos 3 meses desde la cirugía inicial, podemos comenzar a confeccionar la prótesis definitiva que se realiza sobre el mismo transepitelial, para evitar romper las uniones epiteliales formadas a ese nivel y conservar el hermetismo de los tejidos blandos periimplantarios. La prótesis final es una corona E-Max, totalmente cerámica, cementada a una interfase, atornillada al transepitelial unitario. Con esta solución alcanzamos una estética correcta para el

sector antero-superior a la vez de que mantenemos los tejidos blandos periimplantarios sin retracciones, asegurándonos además un correcto ajuste y hermetismo entre la prótesis y el implante (figuras 15-17).

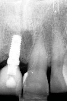
El paciente continúa en seguimiento posterior, con revisiones cada 6 meses durante los dos primeros años. En todas ellas no existe complicación ni pérdida ósea asociada al implante, tal como podemos ver en la radiografía de control a los dos años (figura 18).

Figura 13. Cierre primario a los 3 días con el provisional de carga inmediata.
Figura 14. Radiografía tras la colocación de la prótesis provisional de carga inmediata.
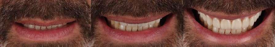
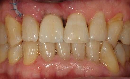
Figuras 15 y 16. Imágenes de la corona definitiva colocada en el paciente tras los 6 meses de la inserción del implante y la prótesis de carga inmediata.
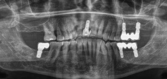
Figura 17. Radiografía tras la colocación de la prótesis definitiva.
Figura 18. Radiografía de control a los dos años, donde observamos el implante y la estabilidad del tratamiento.

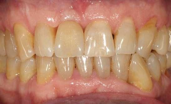
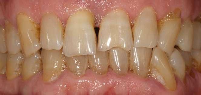
Cinco años después, llevamos a cabo un nuevo cone-beam y en el podemos observar la evolución del implante y de la sobre-corrección vestibular llevada a cabo en la cirugía inicial. Tanto el implante como el hueso que se ha formado a nivel vestibular fruto del injerto empleado está estable y se mantiene sin pérdida ósea asociada, tal como mostramos en los cortes del cone-beam

inicial y final a los 5 años de seguimiento (figura 19). En las imágenes intraorales tomadas en este punto del seguimiento se constata el éxito del tratamiento (figuras 20 y 21). En la radiografía periapical, observamos con mayor detalle la regeneración del tejido óseo del diente en posición 11 así como la estabilidad ósea del implante (figuras 22 y 23).

en vestibular.

20 21
Figura 19. Imagen inicial del cone-beam y final con el implante cargado a los 5 años de seguimiento con la estabilidad del implante y del hueso generado mediante el injerto
Figuras 20 y 21. Imagen inicial y final de paciente tras 5 años de seguimiento. En ellas observamos la estabilidad del tratamiento logrado con el implante.
Figuras 22 y 23. Radiografía periapical inicial y a los 5 años de seguimiento.

caso clínicoIMPLANTOLOGÍA

Discusión

La preservación del volumen óseo y de los tejidos blandos representa un factor determinante en la predictibilidad estética de las rehabilitaciones implantosoportadas, especialmente en la región de los incisivos superiores, donde incluso mínimas alteraciones pueden comprometer el resultado final28-29. En este contexto, la técnica de colocación inmediata del implante post-extracción ha sido ampliamente promovida como una alternativa eficaz en zonas de alta exigencia estética. Diversos protocolos han sido desarrollados con el fin de limitar la reabsorción ósea fisiológica del alveolo tras la extracción dental. No obstante, diversos estudios han señalado que, si bien esta técnica puede mantener tasas de supervivencia del implante aceptables, también se asocia con un mayor riesgo de complicaciones estéticas, principalmente en los tejidos blandos perimplantarios13-15. Dos metaanálisis relevantes—uno realizado por Expósito et al. (2010)30 y otro por Sanz et al. (2012)31—compararon la inserción inmediata versus la diferida de implantes, concluyendo que aún es necesario contar con más evidencia clínica de calidad para establecer directrices concluyentes. Más recientemente, en 2019, Bassir et al.13 volvieron a abordar esta temática, observando que los implantes colocados en fases tempranas presentan tasas de supervivencia similares a las de aquellos insertados de forma inmediata o diferida. Sin embargo, el estudio destaca que la recesión de los tejidos blandos sigue siendo una complicación potencial, por lo que se recomienda individualizar cada casoconsiderando factores como la anatomía de la cresta ósea residual, la posición tridimensional del implante y la necesidad clínica de una colocación inmediata.

Debemos tener en cuenta, tal como hemos comentado en el caso clínico anteriormente descrito que en el ámbito de las rehabilitaciones unitarias en el sector anterior, el diseño protésico cobra un papel crucial. La utilización de componentes protésicos que favorezcan la estabilidad de los tejidos blandos ha demostrado ser un elemento clave para mantener los resultados estéticos a largo plazo. 2-5 Asimismo, establecer un sellado eficaz en la interfaz implante-prótesis, y evitar el reemplazo del transepitelial durante las fases protésicas, permite mantener la unión epitelial a través de las uniones epiteliales, contribuyendo a la integridad biológica del

conjunto restaurador 18-19. Una revisión sistemática con metaanálisis que evaluó los protocolos de carga inmediata en función del tipo de restauración utilizada, no encontró diferencias estadísticamente significativas entre las distintas modalidades protésicas (fijas, removibles, provisionales o definitivas). Sin embargo, sí se observó una mejoría en los valores de ISQ en los casos donde se utilizaban prótesis definitivas desde el inicio, lo cual sugiere que la no remoción de la restauración puede favorecer tanto la estabilidad de los tejidos blandos como la osteointegración del implante15. En este sentido, el uso de un componente transepitelial desde la fase quirúrgica hasta la restauración definitiva puede ofrecer beneficios comparables, al evitar interrupciones en la conexión con el tejido blando. Este enfoque no solo favorece la estabilidad del entorno mucoso, sino que también puede prevenir defectos vestibulares y contribuir a un comportamiento biomecánico más favorable durante la integración funcional del implante18-19

En definitiva, el éxito de la rehabilitación implantológica en el sector estético depende de una planificación individualizada que contemple la colocación temprana del implante como alternativa estratégica frente a la inserción inmediata, y que se complemente con protocolos protésicos cuidadosamente seleccionados —como el uso de transepiteliales e interfases— que favorezcan la estabilidad tisular, la integración funcional y la excelencia estética a largo plazo.

Conclusiones

La colocación de implantes en el sector estético requiere un enfoque clínico individualizado que considere tanto factores anatómicos como biológicos. La colocación temprana del implante, frente a la inserción inmediata, se perfila como una estrategia segura y predecible para preservar el volumen óseo y minimizar las complicaciones estéticas. El diseño protésico desempeña un papel fundamental, especialmente cuando se prioriza la estabilidad de los tejidos blandos mediante el uso de transepiteliales e interfases. La elección de protocolos que eviten la manipulación repetida de los componentes mejora la integración tisular y la predictibilidad del resultado final. Estos principios deben guiar la planificación y ejecución de rehabilitaciones implantosoportadas en zonas de alta demanda estética. 

Bibliografía

1. Hamilton A, Gonzaga L, Amorim K, Wittneben JG, Martig L, Morton D, Martin W, Gallucci GO, Wismeijer D. Selection criteria for immediate implant placement and immediate loading for single tooth replacement in the maxillary esthetic zone: A systematic review and meta-analysis. Clin Oral Implants Res. 2023 Sep;34 Suppl 26:304-348.

2. Gamborena I, Sasaki Y, Blatz MB. Predictable immediate implant placement and restoration in the esthetic zone. J Esthet Restor Dent. 2021 Jan;33(1):158-172.

3. Tischler M. Dental Implants in the Aesthetic Zone. Dent Today. 2017 Jan;36(1):90.

4. Varghese KG. Considerations for immediate implants in the aesthetic zone. Br Dent J. 2023 Apr;234(7):515.

5. Slagter KW, den Hartog L, Bakker NA, Vissink A, Meijer HJ, Raghoebar GM. Immediate placement of dental implants in the esthetic zone: a systematic review and pooled analysis. J Periodontol. 2014 Jul;85(7):e241-50.

6. Alrmali A, Stuhr S, Saleh MHA, Latimer J, Kan J, Tarnow DP, Wang HL. A decision-making tree for evaluating an esthetically compromised single dental implant. J Esthet Restor Dent. 2023 Dec;35(8):1239-1248.

7. Carpentieri J, Greenstein G. Guidelines for Immediate Vs Delayed Dental Implant Placement in the Esthetic Zone. Compend Contin Educ Dent. 2024 Jul-Aug;45(7):340-347; quiz 348.

8. Zuiderveld EG, Meijer HJA, Gareb B, Vissink A, Raghoebar GM. Single immediate implant placement in the maxillary aesthetic zone with and without connective tissue grafting: Results of a 5-year randomized controlled trial. J Clin Periodontol. 2024 Apr;51(4):487-498.

9. Balaji VR, Boobalan K, Dhanasekaran M. Comparative evaluation of implant stability and esthetics by partial extraction therapy and immediate implant placement in maxillary anterior region: A clinical study. J Indian Soc Periodontol. 2024 JulAug;28(4):436-442.

10. Calvo-Guirado JL, Troiano M, López-López PJ, Ramírez-Fernandez MP, de Val JEMS, Marin JMG, Gehrke SA. Different configuration of socket shield technique in peri-implant bone preservation: An experimental study in dog mandible. Ann Anat. 2016 Nov;208:109-115.

11. Calvo-Guirado JL, Benítez-García JA, Maté Sánchez de Val JE, Pérez-Albacete Martínez C, Gehrke SA, Delgado-Ruiz R, Moses O. Socket-shield te-

chnique: the influence of the length of the remaining buccal segment of healthy tooth structure on peri-implant bone and socket preservation. A study in dogs. Ann Anat. 2019 Jan;221:84-92.

12. Chappuis V, Araújo MG, Buser D. Clinical relevance of dimensional bone and soft tissue alterations post-extraction in esthetic sites. Periodontol 2000. 2017 Feb;73(1):73-83.

13. Bassir SH, El Kholy K, Chen CY, Lee KH, Intini G. Outcome of early dental implant placement versus other dental implant placement protocols: A systematic review and meta-analysis. J Periodontol. 2019 May;90(5):493-506.

14. Chen J, Cai M, Yang J, Aldhohrah T, Wang Y. Immediate versus early or conventional loading dental implants with fixed prostheses: A systematic review and meta-analysis of randomized controlled clinical trials. J Prosthet Dent. 2019 Dec;122(6):516-536.

15. Chen ST, Buser D. Esthetic outcomes following immediate and early implant placement in the anterior maxilla--a systematic review. Int J Oral Maxillofac Implants. 2014;29 Suppl:186-215

16. Mello CC, Lemos CAA, Verri FR, Dos Santos DM, Goiato MC, Pellizzer EP. Immediate implant placement into fresh extraction sockets versus delayed implants into healed sockets: A systematic review and meta-analysis. Int J Oral Maxillofac Surg. 2017 Sep;46(9):1162-1177

17. Feilong D, Hua Z, Hui Z, Haibin S, Qifen H, Peifen Z. A comparison of clinical outcomes for implants placed in fresh extraction sockets versus healed sites in periodontally compromised patients: A 1-year follow-up report. Int J.Oral Maxillofac Implants 2010;25:1036-1040. [ Links ]

18. Anitua E, Murias-Freijo A, Tierno R, Tejero R, Hamdan Alkhraisat M. Effect of implant abutment surface treatments on bacterial biofilm composition and structure. J Oral Microbiol. 2025 Feb 5;17(1):2459922.

19. Hernández-Marcos G, Hernández-Herrera M, Anitua E. Marginal Bone Loss Around Short Dental Implants Restored at Implant Level and with Transmucosal Abutment: A Retrospective Study. Int J Oral Maxillofac Implants. 2018 Nov/ Dec;33(6):1362-1367.

20. Anitua E, Tarazona A, Alkhraisat MH. Retrospective Study of Functional and Esthetic Outcomes Using Narrow-Diameter Implants for Single Upper Central Incisor Replacements. Dent J (Basel). 2025 Mar 26;13(4):144.

21. Anitua E, Alkhraisat MH. Single-unit short dental implants. Would they survive a long period of service? Br J Oral Maxillofac Surg. 2019 May;57(4):387-388.

22. Anitua E. Immediate Loading of Short Implants in Posterior Maxillae: Case Series. Acta Stomatol Croat. 2017 Jun;51(2):157-162.

23. Anitua E, Piñas L, Escuer-Artero V, Fernández RS, Alkhraisat MH. Short dental implants in patients with oral lichen planus: a long-term follow-up. Br J Oral Maxillofac Surg. 2018 Apr;56(3):216-220.

24. Anitua E, Alkhraisat MH. Clinical Performance of Short Dental Implants Supporting Single Crown Restoration in the Molar-Premolar Region: Cement Versus Screw Retention. Int J Oral Maxillofac Implants. 2019 July/August;34(4):969–976.

25. Anitua E. Implant Dentistry from One-Way Direction to the Reversibility of the Osseointegration. Eur J Dent. 2022 May;16(2):464. doi: 10.1055/s-0041-1740219. Epub 2022 Feb 17.

26. Anitua E, Larrazabal Saez de Ibarra N, Morales Martín I, Saracho Rotaeche L. Influence of Implant Tilting and Length on the Biomechanics of Single-Tooth Restoration: A Finite Element Analysis in Atrophic Mandible. Dent J (Basel). 2022 May 6;10(5):77.

27. Anitua E, Larrazabal Saez de Ibarra N, Morales Martín I, Saracho Rotaeche L. Influence of Dental Implant Diameter and Bone Quality on the Biomechanics of Single-Crown Restoration. A Finite Element Analysis. Dent J (Basel). 2021 Sep 6;9(9):103.

28. Gluckman H, Du Toit J, Salama M. The Pontic-Shield: Partial Extraction Therapy for Ridge Preservation and Pontic Site Development. Int J Periodontics Restorative Dent. 2016 MayJun;36(3):417-23.

29. 15. Gluckman H, Salama M, Du Toit J. Partial Extraction Therapies (PET) Part 1: Maintaining Alveolar Ridge Contour at Pontic and Immediate Implant Sites. Int J Periodontics Restorative Dent. 2016 Sep-Oct;36(5):681-7.

30. Esposito M, Grusovin MG, Polyzos IP, Felice P, Worthington HV. Interventions for replacing missing teeth: dental implants in fresh extraction sockets (immediate, immediate-delayed and delayed implants). Cochrane Database Syst Rev 2010:CD005968.

31. Sanz I, Garcia-Gargallo M, Herrera D, Martin C, Figuero E, Sanz M. Surgical protocols for early implant placement in post-extraction sockets: a systematic review. Clin Oral Implants Res 2012;23 Suppl 5:67–79.

jóvenes talentos

“EL OBJETIVO DE LA FORMACIÓN PRECLÍNICA EN ODONTOLOGÍA ES CLARO: FORMAR PROFESIONALES MÁS COMPETENTES, REFLEXIVOS Y SEGUROS”

Dra. Anabel Gramatges Rojas, directora del Departamento de Odontología Preclínica de la Universidad Europea de Valencia

El enfoque humano de la Odontología y su vocación por mejorar la calidad de vida de las personas impulsaron a la Dra. Anabel Gramatges Rojas a iniciar sus estudios primero en Prótesis Dental y posteriormente en Odontología y especialización en Periodoncia y Ortodoncia. Más allá de su vocación sanitaria, la trayectoria de la Dra. Gramatges Rojas, directora del Departamento de Odontología Preclínica de la Universidad Europea de Valencia, destaca especialmente por su pasión por la docencia y la investigación. Gracias a su compromiso con la innovación pedagógica y su capacidad para integrar herramientas tecnológicas avanzadas en la formación de las nuevas generaciones de profesionales, la doctora ha sido galardonada con el Young VR-Haptic Educator Award 2024, un reconocimiento internacional que distingue a jóvenes docentes que están transformando la enseñanza clínica a través de tecnologías como la simulación mediante realidad virtual háptica.

 DM.- ¿Qué es lo que más le atrajo del ámbito odontológico para iniciar sus estudios en Prótesis Dental? Dra. Anabel Gramatges Rojas (Dra. A.G.R.).- Desde muy joven me sentí atraída por las ciencias de la salud, especialmente por el área de la Medicina y la Odontología, un ámbito muy presente en mi entorno familiar. Sin embargo, fue la Odontología la que realmente despertó mi interés, por su capacidad de mejorar la calidad de vida de las personas a través de la función y la estética. Me llamó la atención cómo logra combinar conocimientos científicos, habilidades técnicas y una relación muy directa con el paciente. Con el tiempo, comprendí que era una forma de ayudar a los demás desde un enfoque muy humano y, para mí, profundamente vocacional.

 DM.- Tras sus estudios en Prótesis Dental, se lanzó a obtener el Grado en Odontología para después especializarse en Periodoncia y Ortodoncia. ¿Cómo fue su experiencia universitaria?

Dra. A.G.R.- Mi experiencia universitaria fue profundamente enriquecedora, tanto en lo académico como en lo personal. Durante esta etapa, tuve la oportunidad de iniciarme en la gestión académica, sin saber entonces que acabaría convirtiéndose en una de mis grandes vocaciones. Iniciar mi trayectoria desde el ámbito de la Formación Profesional en Prótesis Dental me proporcionó una base clínica y técnica sólida, lo que facilitó significativamente mi adaptación al Grado en Odontología, especialmente en las asignaturas más prácticas. Posteriormente, la especialización en un Máster Universitario en Ortodoncia, complementada con formación en Periodoncia, me permitió adquirir una visión más amplia y multidisciplinar de la salud oral, que me ha ayudado a abordar los tratamientos de forma integral y centrada en el paciente. Además, esta etapa me brindó la oportunidad de iniciarme en la docencia y la investigación, experiencias que han sido clave en la definición de mi perfil profesional.

 DM.- ¿Cuál es el nivel de la formación en Odontología en España en comparación con otros países?

Dra. A.G.R.- La formación odontológica en España es muy sólida en términos de contenidos teóricos, formación práctica y competencias clínicas. Contamos con universidades de prestigio que han integrado de manera progresiva la innovación educativa. Sin embargo, es cierto que otros países han avanzado de forma más acelerada en la incorporación sistemática de tecnologías inmersivas y simulación clínica avanzada y enfoques digitales integrales. En estos momentos, los planes de estudio españoles están en una etapa decisiva, ya que deben adaptarse a las nuevas directrices europeas mediante la actualización de la orden CIN. En este proceso, la Universidad Europea de Valencia ha trabajado activamente para apostar firmemente por la innovación educativa a través del uso de simuladores hápticos, entornos virtuales y metodologías activas de aprendizaje, entre otros aspectos, consolidándose como uno de los referentes nacionales en la transformación de la enseñanza odontológica.

 DM.- Recientemente ha sido galardonada en Londres con el Young VR-Haptic Educator Award 2024. ¿Qué ha supuesto para usted recibir este reconocimiento internacional?

Dra. A.G.R.- Ha sido un enorme honor y una gran motivación recibir este reconocimiento internacional. Viajar a Londres para recoger el Young

Iniciar

mi trayectoria desde el ámbito de la Formación Profesional en Prótesis Dental me proporcionó una base clínica y técnica sólida, lo que facilitó significativamente mi adaptación al Grado en Odontología, especialmente en las asignaturas más prácticas ”

En estos momentos, los planes de estudio españoles están en una etapa decisiva, ya que deben adaptarse a las nuevas directrices europeas mediante la actualización de la orden CIN ”

VR-Haptic Educator Award 2024 ha supuesto no solo una validación al trabajo realizado, sino también un reconocimiento a la apuesta decidida por la simulación mediante realidad virtual háptica que hemos desarrollado desde la Universidad Europea de Valencia, a través del grupo de

jóvenes talentos

Viajar a Londres para recoger el Young

VR-Haptic Educator Award 2024 ha supuesto no solo una validación al trabajo realizado, sino también un reconocimiento a la apuesta decidida por la simulación mediante realidad virtual háptica que hemos desarrollado desde la Universidad Europea de Valencia, a través del grupo de investigación VR_ Haptic Thinkers, en colaboración con otras universidades internacionales

docencia innovadora y basada en la evidencia. La inclusión de la simulación háptica en la formación odontológica contribuye significativamente a la adquisición de competencias y destrezas manuales por parte del alumnado en entornos seguros y controlados, antes de enfrentarse a situaciones clínicas reales con pacientes, algo fundamental en una profesión como la nuestra.

 DM.- ¿Qué fue lo que suscitó su interés por la integración de las tecnologías en la formación clínica?

Dra. A.G.R.- El punto de inflexión fue observar las limitaciones de los métodos tradicionales para desarrollar ciertas destrezas clínicas de forma segura y eficiente. La posibilidad de incorporar simulación con retroalimentación táctil, evaluación objetiva y entornos controlados para nuestros alumnos me pareció una oportunidad única para mejorar el proceso de enseñanza-aprendizaje. Además, fue precisamente la observación compartida por un grupo de profesores lo que motivó la apuesta definitiva por este tipo de tecnologías. En una primera experiencia, en la que utilizamos el simulador háptico de forma puntual y sin contar aún con un programa estructurado de desarrollo competencial, pudimos comprobar cómo los estudiantes que lo habían empleado realizaban posteriormente tratamientos convencionales con mayor precisión y seguridad que aquellos que no lo habían utilizado. Esta evidencia empírica inicial fue decisiva y nos impulsó a comenzar a desarrollar líneas de investigación específicas en esta área, consolidando así nuestro compromiso con la innovación educativa basada en la evidencia.

 DM.- ¿Cómo trabajan desde su Departamento para integrar la tecnología en la formación clínica?

investigación VR_Haptic Thinkers, en colaboración con otras universidades internacionales. Este premio pone en valor el potencial transformador que tienen estas tecnologías en la enseñanza clínica y refuerza nuestro compromiso con una

Dra. A.G.R.- En nuestro Departamento apostamos firmemente por la integración progresiva de las nuevas tecnologías en la formación preclínica y clínica. Esta integración está curricularizada desde los primeros cursos y articulada en diversas asignaturas. Hemos incorporado simuladores hápticos como herramienta complementaria para reforzar la adquisición de competencias prácticas en un entorno seguro, controlado y reproducible. Además, formamos al alumnado desde etapas tempranas en el manejo del flujo digital incluyendo escaneado intraoral, diseño CAD y fabricación digital con el objetivo de que egresen

con un perfil altamente competitivo y alineado con las demandas del ejercicio profesional actual. Paralelamente, estamos introduciendo el uso responsable de la inteligencia artificial como apoyo al diagnóstico, la planificación clínica y el aprendizaje personalizado. Consideramos fundamental que los futuros profesionales no solo dominen estas herramientas, sino que comprendan sus implicaciones éticas, su utilidad clínica y sus límites, fomentando una práctica objetiva y centrada en el paciente.

Todo esto va acompañado de la formación continua del profesorado y del seguimiento de indicadores que nos permiten evaluar el impacto real de estas herramientas en el desarrollo competencial del estudiante. Asimismo, las líneas de trabajo impulsadas desde nuestro grupo de investigación nutren esta transformación educativa.

Las tecnologías inmersivas con retroalimentación háptica permiten simular procedimientos clínicos complejos de forma muy realista, sin riesgo para el paciente y con una capacidad de repetición ilimitada. Esto favorece la adquisición progresiva de competencias psicomotoras, el razonamiento clínico y la toma de decisiones en un entorno seguro, accesible y medible. Además, fomenta una enseñanza más personalizada, autónoma y motivadora ”

jóvenes talentos

 DM.- En su opinión, ¿cómo se está transformando la enseñanza clínica mediante tecnologías inmersivas en simulación con realidad háptica?

Dra. A.G.R.- Está suponiendo un cambio de paradigma. Las tecnologías inmersivas con retroalimentación háptica permiten simular procedimientos clínicos complejos de forma muy realista, sin riesgo para el paciente y con una capacidad de repetición ilimitada. Esto favorece la adquisición progresiva de competencias psicomotoras, el razonamiento clínico y la toma de decisiones en un entorno seguro, accesible y medible. Además, fomenta una enseñanza más personalizada, autónoma y motivadora.

 DM.- Teniendo en cuenta su enfoque experiencial, ¿qué beneficios concretos ofrece esta técnica de aprendizaje a los estudiantes?

Dra. A.G.R.- Esta técnica de aprendizaje ofrece múltiples beneficios como es la mejora de la destreza manual, reduce la ansiedad clínica y acelera la adquisición de habilidades técnicas. Al permitir simulaciones con retroalimentación inmediata, el estudiante puede detectar y corregir errores antes de enfrentarse al entorno clínico real. Además, tiene la posibilidad de practicar previamente los procedimientos que le generen mayor inseguridad, lo que refuerza su autoconfianza y promueve un aprendizaje más eficaz y éticamente responsable.

Asimismo, esta metodología permite un aprendizaje personalizado, adaptado al nivel de destreza manual y a las competencias específicas de cada alumno, lo que facilita una progresión más individualizada y eficiente en su formación clínica.

 DM.- En este sentido, ¿qué importancia tiene la integración de herramientas tecnológicas avanzadas en la formación de las nuevas generaciones de profesionales?

Dra. A.G.R.- Es absolutamente clave. Las nuevas generaciones no solo demandan formatos de aprendizaje más interactivos y adaptados a su realidad digital, sino que también deberán enfrentarse a entornos clínicos donde la tecnología será cada vez más protagonista. Prepararlos con herramientas avanzadas garantiza no solo una mayor competencia técnica, sino también una actitud proactiva hacia la innovación, la mejora continua y la seguridad del paciente.

En este sentido, programas como el de la Universidad Europea de Valencia representan un modelo formativo de referencia, al integrar de manera progresiva y transversal metodologías como la simulación háptica, el flujo digital, la inteligencia artificial aplicada y el aprendizaje personalizado. Esta apuesta por la innovación educativa no solo responde a las exigencias del contexto profesional actual, sino que también anticipa los retos futuros de la odontología, formando a profesionales técnicamente competentes, éticamente responsables y preparados para liderar el cambio en su entorno clínico.

 DM.- Y para terminar, ¿hacia dónde cree usted que se dirige el futuro de la formación preclínica en el campo de la Odontología?

Dra. A.G.R.- El futuro de la formación preclínica se dirige hacia un modelo híbrido, personalizado y centrado en el estudiante, con un protagonismo creciente de la simulación avanzada, la inteligencia artificial, la gamificación y el aprendizaje adaptativo. La integración curricular de estas herramientas no sustituirá la práctica clínica real, pero sí permitirá que los estudiantes lleguen a ella mucho mejor preparados, con mayor seguridad, destreza y capacidad de análisis. El objetivo es claro: formar profesionales más competentes, reflexivos y seguros, capaces de adaptarse a los cambios constantes de nuestra profesión y liderar su evolución. 

LA ERA DIGITAL TAMBIÉN HA LLEGADO A EXPADENT

…y como siempre con los precios más competitivos del mercado

Escanea el código QR con tu smartphone para acceder al listado de precios o accede a www.expadent.com/precios

CORONA ZIRCONIO MULTICAPA

49,90 euros

MÁNDANOS TUS ARCHIVOS STL Y NOS PONDREMOS MANOS A LA OBRA

YA DISPONIBLE

EXPADENT APP

Hemos mejorado nuestro sistema de gestión, y ahora cualquiera de nuestros clientes podrán realizar los pedidos directamente desde nuestra aplicación, intuitivamente.

También permite hacer un seguimiento total del proceso de fabricación y de envío del pedido realizado.

UN ESTUDIO DE LA UNIVERSIDAD DE GRANADA REVELA QUE LA PERIODONTITIS PODRÍA AUMENTAR EL RIESGO DE CÁNCER COLORRECTAL

La Universidad de Granada ha liderado un estudio, en colaboración con el Hospital Universitario Virgen de la Arrixaca de Murcia, en el que se revela que la periodontitis podría aumentar el riesgo de cáncer colorrectal, reforzando así la importancia de la salud bucodental en la prevención contra el cáncer y otras enfermedades.

La periodontitis favorece el cáncer colorrectal al liberar CEA e IL-6 en la sangre y diseminar bacterias como Fusobacterium nucleatum, lo que altera la microbiota intestinal, reduce las defensas antitumorales y crea un ambiente proinflamatorio que promueve tumores.

Un estudio liderado por la Universidad de Granada (UGR) ha revelado que el 69,5% de los pacientes con cáncer colorrectal sufren periodontitis, una enfermedad inflamatoria de las encías.

La investigación, publicada en colaboración con el Hospital Universitario Virgen de la Arrixaca de Murcia, sugiere que la inflamación crónica provocada por la periodontitis podría actuar como un «campo de cancerización», favoreciendo la progresión del tumor a través del aumento del antígeno carcinoembrionario (CEA). Este hallazgo refuerza la importancia de la salud bucal en la prevención del cáncer.

Los resultados de este estudio, recientemente publicado en la revista Clinical Oral Investigations y realizado en 59 pacientes con cáncer colorrectal, han desvelado que aquellos con periodontitis presentaban niveles significativamente más altos de CEA, un marcador tumoral clave.

Además, los responsables del trabajo han podido identificar que la inflamación crónica generada por la enfermedad periodontal podría alterar la respuesta inmune y promover mecanismos que facilitan el crecimiento del tumor. Sin embargo, no se ha hallado una asociación directa entre la periodontitis y la agresividad del cáncer en otras variables analizadas.

Mecanismos biológicos: cómo la periodontitis afecta al cáncer

Los investigadores proponen un doble mecanismo: por un lado, el CEA liberado por las bolsas periodontales inhibiría la muerte programada de células

Universidad de Granada

Cerca del 70% de los pacientes con cáncer colorrectal padecen esta enfermedad periodontal, asociada a niveles elevados de un marcador tumoral clave

tumorales. Por otro, la producción crónica de interleucina-6 (IL-6) activaría vías moleculares relacionadas con la proliferación celular y la metástasis. Estos procesos convertirían la periodontitis en un factor de riesgo modificable para el desarrollo del cáncer colorrectal.

El trabajo, desarrollado por el grupo de investigación CTS 583 (Periodoncia e Implantes Dentales) de la Universidad de Granada, en colaboración con el Servicio de Enfermedades Digestivas del Hospital Virgen de la Arrixaca, ha contado además con financiación parcial de la Cátedra Dentsply Sirona. Para Francisco Mesa Aguado, investigador principal del estudio y catedrático de Estomatología de la UGR, “estos resultados subrayan la necesidad de integrar la salud bucodental en las estrategias de prevención oncológica”. Aunque se requieren más estudios para confirmar estos

Estos

resultados subrayan la necesidad de integrar la salud bucodental en las estrategias de prevención oncológica

Francisco Mesa Aguado, investigador principal del estudio y catedrático de Estomatología de la UGR

hallazgos, esta investigación abre nuevas vías para comprender cómo las enfermedades inflamatorias crónicas, como la periodontitis, podrían influir en el desarrollo de tumores. Mantener una buena higiene bucal no sólo protege las encías, sino que podría ser también un factor clave para la prevención del cáncer. 

Referencias

Mesa-López, M.J., Bravo, M., Egea, J. et al. Periodontitis as a field of cancerization: association with carcinoembryonic antigen in colorectal cancer patients. Clin Oral Invest 29, 323 (2025). https://doi.org/10.1007/s00784-025-06399-x (https://link.springer.com/article/10.1007/s00784-025-06399-x)

EL GROSOR DEL ESMALTE A LO LARGO DE LA EVOLUCIÓN HUMANA: CLAVES DESDE ATAPUERCA

El CENIEH lidera un estudio comparativo que documenta patrones mixtos de esmalte dental en dos poblaciones fósiles de los yacimientos de esta sierra burgalesa: Homo antecessor y los homínidos de la Sima de los Huesos, clave para interpretar la variabilidad evolutiva en el Pleistoceno medio. Evidencias dentales en Atapuerca apoyan vínculos evolutivos con neandertales y Homo sapiens.

El estudio de la evolución del aparato dental en nuestro género, Homo, busca no solo identificar diferencias con nuestros antepasados, sino también comprender el ritmo de los cambios y su impacto en la biología y desarrollo. Entre los hallazgos más relevantes en el campo evolutivo destacan por ejemplo el hecho de que nuestros dientes tardan más tiempo en formarse, un rasgo asociado a un desarrollo cognitivo prolongado y a una infancia más extensa que favorece el aprendizaje. Otro ejemplo lo ofrecen los defectos del esmalte asociados a la etapa del destete. Según la especie, este momento varió: en la población preneandertal de la Sima de los Huesos (Atapuerca) ocurrió alrededor de los 3 años, en los neandertales hacia los 1,5 años y en los humanos modernos en torno a los 4-5 meses.

Un aspecto clave de los procesos evolutivos es que la causa y la consecuencia no siempre están claramente delimitadas. En la formación dental intervienen factores genéticos, funcionales y ambientales. Por ello, los paleoantropólogos investigamos múltiples variables que influyen en la morfología y desarrollo de los dientes. Entre ellas destacan el grosor del esmalte y la proporción de los tejidos dentales. Se sabe, por ejemplo, que en Homo sapiens el esmalte es relativamente grueso debido a la reducción del volumen de dentina. Además, dentro de nuestra especie, las mujeres suelen presentar esmalte más grueso que los hombres. Si comparamos entre especies, los neandertales muestran un esmalte fino, un desarrollo dental acelerado y defectos del esmalte (hipoplasias) más profundos que los nuestros.

Nuestro estudio más reciente analizó el grosor del esmalte en dos especies fósiles de Atapuerca, con el objetivo de determinar qué tipo de esmalte presentaban (grueso o fino) y en qué momento surgieron estos cambios evolutivos. El trabajo, publicado en American Journal of Biological Anthropology (https://onlinelibrary.wiley.com/doi/ abs/10.1002/ajpa.70068) constituye una continuidad en nuestras investigaciones sobre el grosor del esmalte en las diferentes clases dentales. En particular, examinamos premolares superiores e inferiores de H. antecessor (n=10) y de la población de la Sima de los Huesos (n=42), comparándolos con los de neandertales (n=18) y humanos modernos (n=73). El análisis se realizó mediante micro-Tomografía Computarizada (micro-CT), una técnica basada en rayos X que proporciona imágenes con resolución micrométrica, aunque de uso limitado en el ámbito

Premolares y maxilar de Homo antecessor

clínico. Los escáneres se efectuaron en el CENIEH (Burgos) con un equipo GE, obteniendo imágenes de 0,018 mm de resolución. Posteriormente, reconstruimos los tejidos dentales y calculamos sus volúmenes (Figura 1).

Los resultados mostraron que los premolares inferiores de H. antecessor tenían esmalte fino, similar al de los neandertales. En cambio, la población de la Sima de los Huesos presentó una mayor variabilidad: los premolares superiores se alineaban con el patrón neandertal (esmalte fino), mientras que los inferiores se parecían a los de los humanos modernos (esmalte grueso). Analizamos las posibles causas detrás del patrón de esmalte grueso, como la morfología de la dentina y el tamaño relativo de la corona. Concluimos que el patrón de esmalte fino característico de los neandertales ya estaba presente hace medio millón de años en la población de la Sima de los Huesos. Sin embargo, no hallamos una señal clara que explique este rasgo. Sí observamos, en cambio, que la reducción del ta-

maño de la corona en premolares inferiores conllevó una disminución de la dentina, lo que resultó en un esmalte relativamente más grueso tanto en H. antecessor como en Sima de los Huesos. Hasta ahora gracias a nuestras investigaciones sabemos que las poblaciones de Atapuerca muestran una variabilidad en el grosor del esmalte no observada en otros grupos fósiles, favorecida por la excepcional riqueza del registro en este yacimiento. En general, estas dos poblaciones exhiben un patrón mixto: la dentición anterior presenta esmalte relativamente fino (similar al de los neandertales), la dentición posterior (molares) un esmalte relativamente grueso mientras que los premolares poseen carácter transicional, con un grosor del esmalte que se aproxima al segmento anterior o al posterior según el caso.

Futuras investigaciones, ampliando el número de muestras y evaluando otros parámetros, permitirán precisar mejor los patrones de grosor del esmalte y sus posibles causas evolutivas. 

Laura Martín-Francés Doctora en Ciencias de la Vida por la Universidad de Alcalá, miembro del equipo de investigación de Atapuerca e investigadora postdoctoral en el CENIEH (España) y en Monash University (Melbourne, Australia). Especializada en la evolución dental de los homínidos del Pleistoceno, aplicando técnicas virtuales avanzadas para el análisis morfométrico de esmalte y dentina. Sus investigaciones han proporcionado aspectos claves sobre la taxonomía y filogenia de estas poblaciones, así como sobre las migraciones y los patrones de asentamiento durante este periodo. Forma parte del PalaeoDiet Lab de Monash University, donde desarrolla su proyecto europeo EU-MSCA BITE.

Figura 1. Reconstrucción 3D de los tejidos dentales: esmalte (blanco), dentina (gris) y pulpa (rojo): a) Imagen de un molar por microtomografía computarizada; b) Reconstrucción del esmalte; c) Reconstrucción de la dentina; d) Reconstrucción 3D de todos los tejidos (pulpa en rojo). (Imagen: Laura Martín-Francés)
Grosor del esmalte de los premolares

CLÍNICA DENTAL DURÁN & BURGOS

Equipo directivo: Dr. Gonzalo Durán Carasso y Dra. Mar Burgos

Ramón de Dalmases, 26 • 08870 Sitges (Barcelona) • +34 93 894 44 79 • info@clinicaduranburgos.com • www.clinicaduranburgos.com

IDENTIDAD, FILOSOFÍA Y VISIÓN DE LA CLÍNICA

La filosofía de la Clínica Dental Durán & Burgos se basa en ofrecer una odontología integral y personalizada, uniendo ciencia, innovación y humanidad. “Entendemos que cada paciente es único y merece un trato cercano, honesto y adaptado a sus necesidades”, apuntan. Además, añaden que “queremos que el paciente sienta confianza, tranquilidad y la certeza de estar en buenas manos. Cuidamos cada detalle, desde la atención en recepción hasta la comunicación clínica, para que la experiencia sea siempre positiva”.

La excelencia forma parte de su ADN, para ello “invertimos en tecnología, nos formamos continuamente y trabajamos en equipo con rigor clínico y sensibilidad humana”, explican.

PROYECTO CLÍNICO: ORIGEN Y EVOLUCIÓN

La Clínica Dental Durán & Burgos nació con la ilusión de ofrecer una odontología moderna en Sitges. Con el tiempo, han crecido hasta convertirse en una clínica de referencia, pionera en digitalización y tratamientos multidisciplinares, sin perder el trato familiar que les caracteriza.

EQUIPO HUMANO

En cuanto a su equipo humano, en la Clínica Dental Durán & Burgos cuentan con un equipo interdisciplinar: odontólogos especializados, higienistas, auxiliares, protésicos digitales y personal de gestión. Cada área está dirigida por profesionales con formación específica para garantizar la máxima calidad. Asimismo, señalan que la formación continua dentro del equipo es esencial. Para ello participan en congresos nacionales e

internacionales, cursos de especialización y programas de actualización digital. “La formación nos permite ofrecer a nuestros pacientes las soluciones más avanzadas”, destacan.

DIGITALIZACIÓN Y TRANSFORMACIÓN TECNOLÓGICA

Desde la Clínica Dental Durán & Burgos consideran que “la odontología digital es presente y futuro. Nos permite trabajar con mayor precisión, rapidez y comodidad tanto para el paciente como para el equipo clínico”.

Así han integrado escáneres intraorales, 4D articuladores en tiempo real, planificación digital de casos, impresión 3D y comunicación directa con el laboratorio digital, lo que optimiza todo el proceso.

RELACIÓN CLÍNICA-LABORATORIO DIGITAL

Sobre el impacto del flujo digital en la relación con su laboratorio, desde la Clínica Dental Durán & Burgos señalan que “la comunicación es inmediata y mucho más eficiente. Podemos compartir archivos, modelos, Stl, JPEG y planificaciones en tiempo real”.

En cuanto a los beneficios que todo ello conlleva destacan que han reducido los tiempos de espera, mejorado la exactitud de las prótesis y simplificado la comunicación, lo que repercute directamente en la satisfacción del paciente.

TECNOLOGÍA Y EQUIPAMIENTO

En la Clínica Dental Durán & Burgos disponen de escáneres intraorales de última generación, sistemas CAD-CAM, impresoras 3D y radiología digital, 4D articulador, microscopios, láseres diodo, láser Er-Cr, etc.

Para ellos, “estas tecnologías permiten diagnósticos más fiables, planificación más predecible y tratamientos mínimamente invasivos, mejorando tanto la calidad clínica como la experiencia del paciente”.

inside the clinic

TRATAMIENTOS ODONTOLÓGICOS

En la Clínica Dental Durán & Burgos ofrecen todas las especialidades de la odontología: implantología, ortodoncia, estética dental, periodoncia, odontopediatría y rehabilitación oral completa, además de un nuevo departamento de estética facial y blefaroplastia, para así realizar su FFT. Además, personalizan los tratamientos para cada paciente a través de un estudio individualizado, apoyado en tecnología digital, y con una comunicación clara para que cada paciente entienda su diagnóstico y opciones de tratamiento.

GESTIÓN DE LA CLÍNICA

En cuanto a su modelo de gestión, aplican un modelo basado en la excelencia operativa: organización eficiente, atención personalizada y máxima coordinación entre el equipo clínico y de gestión.

La eficiencia en la experiencia del paciente es clave, ya que “un paciente valora no solo la calidad clínica, sino también el tiempo, la agilidad en la atención y la comodidad durante todo el proceso”.

FORMACIÓN, CURVA DE APRENDIZAJE Y CRECIMIENTO PROFESIONAL

Desde la Clínica Dental Durán & Burgos han abordado la curva de aprendizaje en la adopción de nuevas tecnologías con formación continua y trabajo en equipo. Cada incorporación tecnológica va acompañada de programas de entrenamiento y protocolos específicos para integrar su uso de forma eficaz.

Además, participan regularmente en congresos internacionales y nacionales, y colaboran en programas de formación e investigación vinculados a universidades y sociedades científicas. También disponen de su nueva sala de formación TRAINING Durán & Burgos, con gabinete dental totalmente equipado.

VISIÓN DE FUTURO

De cara a los próximos años, desde la Clínica Dental Durán & Burgos pretenden consolidarse como centro de referencia en odontología digital y tratamientos multidisciplinares, manteniendo la cercanía que les diferencia.

Por otro lado, señalan que “la inteligencia artificial será clave en diagnóstico, planificación y personalización de tratamientos. Nuestra visión es integrarla de forma responsable para mejorar la predictibilidad y la experiencia del paciente”. 

@duranburgosclinica Clínica Dental Durán & Burgos

¿Sabías que…?

La publicación que estás leyendo está acreditada por la Asociación de Prensa Profesional, CONEQTIA, por la calidad y rigor de su información.

La prensa profesional tiene un gran valor y una responsabilidad excepcional:

Ayuda a tomar decisiones informadas. Contribuye a impulsar tu sector.

Información para Decidir

www.coneqtia.com

Siguiendo la evolución de la Odontología para el profesional del sector llamado a construir el futuro

ENTREVISTAS A LA INDUSTRIA DENTAL

• “Lo que para algunos es un problema, para Zirkonzahn es un reto”

Julian Steger, director ejecutivo de Zirkonzahn

• “El futuro de la odontología está en Dentsply Sirona”

Xavier Carro, Vicepresidente Comercial del Grupo EMEA en Dentsply Sirona

GESTIÓN

DE CLÍNICAS

• La experiencia del paciente: del discurso a la acción clínica

• Eficiencia real, rentabilidad sostenible y más calma en la clínica dental

ENTREVISTAS

• XXII Congreso SECIB Madrid

• XVII Congreso Nacional SEOENE 2025

• XXX Congreso SESPO

PENSANDO EN FUTURO

MIDAS, la impresora 3D que transforma al dentista analógico en protagonista del flujo digital

Domina la zona

más allá de la estética

Consigue sonrisas bonitas para tus pacientes el mismo día de la cirugía con nuestro �lujo digital en la zona estética

Predictibilidad 97.6% ratio de supervivencia del implante1

E�iciencia 40% menos tiempo de sillón2

Experiencia del paciente 25% menos visitas del paciente2

Desde el escaneado al provisional personalizado en 60 minutos3

3. Calculado en base a la medición del tiempo de cada paso.

1. Tasa media de supervivencia con un seguimiento de hasta 15 años utilizando provisionalización inmediata. Datos en archivo.

2. Calculado frente al �lujo de trabajo digital anterior utilizando el software DTX Studio™ Implant con la solución TempShell, o soluciones de plani�icación de tratamiento similares.

la prescripción, incluidas las indicaciones, contraindicaciones, advertencias y precauciones en las instrucciones de uso

ZIRCONIA PRETTAU®

HECHA CON ORGULLO

Sin la zirconia no habría Zirkonzahn. Profundamente convencido de las propiedades de este material, decidí sacar lo mejor de él para nosotros los protésicos dentales.

Tomó mucho más tiempo de lo que yo pensaba inicialmente: desde seleccionar materias primas de alta calidad hasta desarrollar costosos procesos de producción y depuración, conceptos de coloración, instrumentos de elaboración, hornos de sinterización, estrategias de fresado manuales y posteriormente digitales así como técnicas de trabajo ... siempre buscando nuevas y mejores soluciones.

¡Nunca nos dimos por vencidos! Todo fue estudiado hasta el último detalle y luego ensamblado para crear nuestra zirconia Prettau ®, como si se tratara de un gran rompecabezas.

Prettau ®, un nombre profundamente ligado al Sudtirol, mi tierra natal. Un compromiso y una promesa: el camino de Prettau ® los lleva a la dirección del diseño monolítico. La zirconia es y seguirá siendo, nuestra pasión y nuestro orgullo.

¡Pueden contar con ellos!

PRETTAU® Translucidez

Resistencia a la flexión

Sin dispersión del color

PRETTAU® 2 DISPERSIVE® Translucidez

Resistencia a la flexión

Con dispersión del color

PRETTAU® 3 DISPERSIVE® Translucidez

Resistencia a la flexión

Con Gradual-Triplex-Technology*

PRETTAU® 4 ANTERIOR® Translucidez

Resistencia a la flexión

Sin dispersión del color

PRETTAU® 4 ANTERIOR® DISPERSIVE® Translucidez

Resistencia a la flexión

Con dispersión del color

*Gradual-Triplex-Technology: La zirconia ya está provista de gradientes de color, translucidez y resistencia a la flexión durante el proceso de producción. Esto asegura una coloración natural, un borde incisal muy translúcido y una resistencia a la flexión extremadamente alta en la región cervical del diente.

Enrico y Julian Steger

“LO QUE PARA ALGUNOS ES UN PROBLEMA, PARA ZIRKONZAHN

ES UN

RETO”

Julian Steger, director ejecutivo de Zirkonzahn, continúa con el legado de su padre, Enrico Steger, quien fundó la compañía con el objetivo de “revolucionar el oficio, superar los límites y empoderar a los técnicos de todo el mundo”. A lo largo de esta entrevista, el director ejecutivo de Zirkonzahn nos detalla la visión estratégica de la empresa a nivel internacional, explorando nuevos caminos tecnológicos manteniendo la “cultura Zirkonzahn” basada en la precisión, la formación, la disciplina y el espíritu artesanal y de servicio al usuario.

 DM.- Lleva años involucrado en la empresa familiar, tanto como Master Dental Technician (MDT) como en cargos de liderazgo. ¿Cómo ha sido su transición desde el laboratorio al corazón estratégico de Zirkonzahn?

Julian Steger (J.S.) .- No hay un solo recuerdo, sino muchos pequeños momentos que me han marcado. Si tuviera que destacar uno, sería la atmósfera en el laboratorio cuando era muy joven: recuerdo especialmente lo fascinado que estaba al ver con qué entrega y pasión trabajaba mi padre en sus ideas.

 DM.- ¿Qué recuerdo o experiencia marcó su decisión de dedicarse a continuar y evolucionar el legado de su padre, Enrico Steger?

J.S.- Esa energía, esa convicción de estar creando algo realmente significativo. Él nunca se conformó con “simplemente” fabricar prótesis dentales: quería revolucionar el oficio, superar los límites y empoderar a los técnicos de todo el mundo.

 DM.- Uno de los pilares de Zirkonzahn es el trabajo con casos complejos en colaboración con universidades internacionales. ¿Qué tipo de casos clínicos tratan y cómo eligen con qué centros académicos trabajar?

J.S.- Amamos aquellas tareas que muchos temen, o evitan, porque para nosotros encierran un triunfo silencioso pero inmenso: superar obstáculos, ven-

siguiendo la evolución de la Odontología

cer lo que parecía imposible. No nos conformamos con una sola solución, desarrollamos cinco opciones distintas para un mismo caso, con el fin de descubrir cuál aporta el mayor valor. Es especialmente valioso cuando las universidades están dispuestas a recorrer este camino con nosotros. Así podemos contribuir al progreso: un pequeño paso para nosotros, pero significativo en este campo. Lo que para algunos es un problema, para Zirkonzahn es un reto.

 DM.- En Zirkonzahn destaca la formación interna como parte de su cultura. ¿Cuál es su visión sobre el desarrollo de técnicos dentales dentro de Zirkonzahn, combinando su modelo artesanal con las nuevas demandas digitales y la captación de jóvenes talentos?

J.S.- La formación en Zirkonzahn es para nosotros mucho más que un requisito formal: es una parte fundamental de lo que somos. Nos entendemos como una empresa que aprende continuamente, donde el conocimiento se transmite, se profundiza y se replantea constantemente. Nuestro objetivo no es solo formar a jóvenes talentos en el ámbito técnico, sino también prepararlos para ver el panorama completo: la precisión, la estética, el entusiasmo por lo que hacen, el disfrutar su trabajo en nuestras máquinas, software y materiales de consumo. En Zirkonzahn, los técnicos dentales no solo aprenden a hacer las cosas con pasión, sino también a comprender por qué los contextos y las relaciones humanas son tan importantes. Solo así pueden entender que dar una buena atención y lograr resultados verdaderamente satisfactorios para los pacientes, implica una verdadera responsabilidad.

 DM.- ¿Qué áreas de la empresa gestiona directamente y cómo define su estilo de liderazgo para impulsar la innovación sin perder la esencia familiar?

J.S.- Estoy directamente involucrado en varios ámbitos clave, sobre todo en la gestión de productos, la atención a clientes internacionales y la orientación estratégica de la empresa. Lo que más valoro en todo esto es la estrecha conexión entre la técnica, la práctica y la visión: en nuestra empresa, los nuevos productos o conceptos surgen en diálogo directo con nuestros técnicos y usuarios de todo el mundo.

“Mi padre, Enrico Steger, nunca se conformó con ‘simplemente’ fabricar prótesis dentales: quería revolucionar el oficio, superar los límites y empoderar a los técnicos de todo el mundo”

Definiría mi estilo de liderazgo como práctico y cercano. Intento escuchar antes de tomar decisiones. La innovación no surge bajo presión –y mucho menos por obligación– sino a través del entusiasmo por pensar de forma diferente, optimizar continuamente los procesos para nuestros clientes y así permitirles trabajar como técnicos dentales con alegría e inspiración. Al mismo tiempo, damos gran importancia a la fiabilidad, la lealtad y el espíritu de equipo; eso es precisamente lo que le da a nuestra empresa su carácter familiar, incluso habiendo crecido a nivel internacional.

“ No nos conformamos con una sola solución, desarrollamos cinco opciones distintas para un mismo caso, con el fin de descubrir cuál aporta el mayor valor ”

 DM.- ¿Cuál es la visión estratégica de Zirkonzahn para los próximos años en lo que respecta a la expansión de nuevas áreas de digitalización y tecnología, más allá del dominio en CAD/CAM que ya caracteriza a la compañía?

J.S.- Nuestra visión estratégica en Zirkonzahn va mucho más allá de la tecnología CAD/CAM tradicional. Vemos el futuro en la conexión coherente de todos los procesos digitales: desde la planificación personalizada del paciente, pasando por la colaboración interdisciplinaria, hasta la fabricación interna en el laboratorio.

El objetivo es crear un ecosistema digital que conecte de forma fluida todo el flujo de trabajo odontológico y técnico dental. Un enfoque clave está en la optimización de procesos en el día a día del laboratorio, ofreciendo soluciones de

software basadas en la nube que permitan conectar a dentistas y técnicos dentales de todo el mundo.

Asimismo, damos gran importancia a la integración de nuevos materiales y tecnologías de fabricación como, por ejemplo, la impresión 3D.

 DM.- Zirkonzahn tiene una identidad muy definida: precisión, formación, disciplina y espíritu artesanal. ¿Cómo logra garantizar que esa filosofía se mantenga viva en esta etapa de relevo generacional?

J.S.- La identidad de Zirkonzahn está profundamente arraigada en nuestra historia: fue marcada por mi padre, Enrico Steger, pero hoy también vive a través de nuestros colaboradores, quienes comparten estos valores cada día y los han convertido en una verdadera filosofía de vida: precisión, formación, disciplina y, sobre todo, el espíritu artesanal y de servicio al usuario.

A través de nuestra formación interna y del ejemplo: los valores no se pueden imponer, ¡hay que vivirlos y experimentarlos! Y justamente ahí es donde entra nuestra “Cultura Zirkozahn”, no solo desde un enfoque teórico, sino también práctico.

Aunque hoy actuamos a nivel internacional y exploramos nuevos caminos tecnológicos, hay algo que sigue siendo fundamental: la calidad nace de la buena actitud.

siguiendo la evolución de la Odontología

 DM.- ¿De qué manera se inspira en la filosofía que su padre estableció para Zirkonzahn?

Y ¿cómo aporta su propia perspectiva en el desarrollo actual de la empresa?

J.S.- La filosofía de mi padre fue y sigue siendo el núcleo espiritual de Zirkonzahn. Su convicción de que la verdadera calidad solo puede surgir a través de la precisión, la disciplina y una comprensión auténtica del trabajo artesanal me ha marcado desde el principio. Él no construyó simplemente una empresa, sino una filosofía: hacia el trabajo, los materiales y las personas. Él verdaderamente ama lo que hace. Esa actitud me sigue inspirando hasta hoy, porque es atemporal. Lo que más me impresiona de él es su valentía para pensar las cosas de forma diferente, sin perder nunca el vínculo con la práctica.

 DM.- Gestionar una empresa familiar en crecimiento internacional no es sencillo. ¿Qué desafíos ha enfrentado en esta evolución y qué aprendizajes destacaría?

J.S.- El mayor desafío al hacer crecer una empresa familiar es mantener el equilibrio entre la expansión, la identidad y la estabilidad estructural. El crecimiento debe estar en armonía con nuestros valores. Cada nueva sede, cada avance tecnológico, cada nuevo miembro del equipo debe comprender y compartir nuestro ADN.

“ La formación en Zirkonzahn es mucho más que un requisito formal: es una parte fundamental de lo que somos ”

Al mismo tiempo, he aprendido que no se puede controlar todo, pero sí se pueden crear las condiciones adecuadas. La confianza y la responsabilidad personal son claves para preservar lo familiar, lo cercano y lo auténtico, incluso dentro de estructuras internacionales complejas.

 DM.- ¿Qué mensaje le gustaría transmitir a los técnicos dentales y profesionales que están comenzando y que ven en Zirkonzahn un referente de calidad, innovación y tradición?

J.S.- Quiero transmitirles a los jóvenes técnicos dentales: ¡manténganse curiosos, valientes y fieles al espíritu artesanal! Los mejores técnicos de hoy no son los que solo aprietan botones, sino aquellos que comprenden los procesos, sienten los materiales y utilizan la tecnología de forma inteligente. 

gestión de clínicas

LA EXPERIENCIA DEL PACIENTE: DEL DISCURSO A LA ACCIÓN CLÍNICA

Desde DentalQuality entienden la experiencia del paciente como uno de los grandes pilares estratégicos en la odontología, requiriendo de un método en el que alineen cultura, procesos y comunicación. A lo largo de este artículo nos desvelan las claves para convertir la excelencia clínica en una vivencia coherente y emocionalmente positiva.

Contacto:

info@dentalq.es

La experiencia del paciente se ha convertido en uno de los grandes pilares estratégicos en la salud. Y, sin embargo, sigue tratándose a menudo como un intangible: difícil de definir, de medir o de mejorar. En odontología, esta brecha entre la intención y la ejecución real es especialmente visible. Y afecta directamente a la reputación, a la fidelización y a la recomendación. La cuestión de fondo es sencilla: la clínica puede hacer muy bien su trabajo clínico y, aun así, dejar una impresión pobre si el proceso vivido por el paciente no ha sido claro, humano y predecible. Si no se han cuidado sus emociones.

En DentalQuality® llevamos más de una década observando esta realidad en el terreno. Nuestra conclusión es que la experiencia del paciente no depende de gestos heroicos ni de grandes inversiones, sino de un método que alinee cultura, procesos y comunicación. Ese es el propósito de DQX (DentalQuality eXperience): convertir la excelencia clínica en una vivencia coherente y emocionalmente positiva.

1. Un contexto que lo cambia todo

En los últimos años, el paciente ha dejado de ser un receptor pasivo para convertirse en un agente activo. Llega a la clínica más informado, compara alternativas, pregunta en redes y exige transparencia. Valora el resultado del tratamiento, por supuesto, pero también el camino: la puntualidad, la claridad con la que se le explican las opciones, la confianza que generan los profesionales, la coordinación del equipo, la facilidad para resolver trámites o dudas. La calidad asistencial ya no se mide solo en términos clínicos: también se mide en percepciones y emociones.

siguiendo la evolución de la Odontología

2. Lo que sabemos (y lo que aún cuesta aplicar)

Aunque la mayoría de los equipos clínicos reconoce la importancia de cuidar la experiencia del paciente, en la práctica diaria cuesta traducir ese propósito en acciones concretas. Tres obstáculos aparecen de forma recurrente:

 Falta de protocolos claros en la atención no clínica. Existe procedimiento para la esterilización, pero no para la devolución de llamadas o el manejo de primeras visitas complejas.

 Desalineación del equipo en los momentos clave del recorrido: recepción promete unos tiempos, el doctor otros; administración usa un lenguaje distinto al del gabinete.

 Ausencia de formación específica sobre aspectos emocionales y comunicativos: sabemos explicar un plan, pero no siempre sabemos adaptarlo al perfil y a la ansiedad del paciente. Estas fricciones no se resuelven solo con buena voluntad. Requieren método. Y método significa diseñar la experiencia, observarla con criterios objetivos y entrenarla hasta que se convierta en hábito.

3. La experiencia no se improvisa: se diseña

Gestionar la experiencia del paciente es, ante todo, un ejercicio de diseño. Implica identificar cada punto de contacto —desde la búsqueda online hasta el seguimiento postratamiento—, definir qué emoción queremos provocar (seguridad, calma, control, esperanza) y convertir esa intención en comportamientos observables del equipo. No se trata de teatralizar la atención, sino de hacerla previsible, profesional y humana.

4. El sistema DQX

El sistema DQX (DentalQuality eXperience) es una iniciativa diseñada específicamente para las clínicas certificadas DentalQuality®, con el objetivo de consolidar la excelencia no solo desde la calidad que genera el cumplimiento normativo del certificado, sino desde la vivencia emocional del paciente. No es un curso genérico; es formación personalizada en clínica que trabaja con el equipo real, los protocolos reales y el contexto real. La metodología parte de una fotografía inicial del recorrido del paciente y de los puntos de contacto críticos. Desde ahí, se acompaña al equipo para integrar mejoras sostenibles: comunicación clínica más clara, coordinación entre áreas, manejo de expectativas y tiempos y, sobre todo, un trato que

tenga en cuenta los diferentes perfiles emocionales del paciente. En este punto, el enfoque DISC resulta especialmente práctico para adaptar el lenguaje y el ritmo de la explicación a cada persona. La intención última es positivizar sus emociones, cambiar el miedo por confianza, la vergüenza por seguridad o la preocupación por tranquilidad... Además de las sesiones formativas, DQX incorpora procesos de autodiagnóstico, dinámicas de equipo, guías para la implementación de protocolos centrados en la experiencia del paciente y una metodología de seguimiento ligero. La idea no es hacer más por hacer, sino hacer lo importante de otra manera: con propósito, criterios compartidos y una cultura de mejora continua. El marco de referencia de DentalQuality es la norma privada de calidad AE513/17, que incluye ámbitos como seguridad y protocolos, formación y organización del equipo, tecnología, publicidad responsable y transparencia informativa, y atención centrada en la persona. DQX muestra estos principios en la práctica diaria, de forma comprensible para los pacientes y medible para todo el equipo.

5. Lo que conviene medir (sin convertirlo en burocracia) Medir no es coleccionar números: es observar lo que ayuda a decidir mejor. En experiencia del paciente bastan pocos indicadores bien escogidos y revisados con regularidad. Algunos ejemplos útiles son la recomendación (NPS) tras primeras visitas o altas, la satisfacción por fase (CSAT) para detectar

Gabriel Ríos

Cofundador y director de DentalQuality®. Formación en tecnologías de la información (UPC) y especialización en marketing y gestión, con amplia trayectoria en los sectores tecnológico y salud. Impulsor de proyectos orientados a la calidad asistencial, la experiencia del paciente y el desarrollo estratégico de clínicas dentales.

“ La idea no es hacer más por hacer, sino hacer lo importante de otra manera: con propósito, criterios compartidos y una cultura de mejora continua ”

gestión de clínicas

Conseguir el efecto WOW es la consecuencia de una cultura que piensa, organiza y actúa de forma consistente en favor del paciente

dónde se pierde claridad o un breve registro de emociones percibidas en momentos críticos (calma, seguridad, confianza).

A estos indicadores asistenciales conviene sumar otros parámetros operativos que influyen más de lo que parece: el tiempo de espera percibido, seguimiento y resolución de incidencias o velocidad en las respuestas. No sustituyen al criterio clínico, pero ayudan a enfocarlo en lo que el paciente vive.

6. Una transformación cultural orientada al “WOW”

Conseguir el efecto WOW es la consecuencia de una cultura que piensa, organiza y actúa de forma consistente en favor del paciente. Para sostenerlo en el tiempo, la clínica necesita un modelo de gobierno, un liderazgo visible del cambio y un desarrollo consciente del talento. No buscamos uniformidad artificial, sino coherencia profesional. El estilo personal de cada miembro del equipo enriquece; lo que no puede variar es el estándar de cuidado, la claridad de la información y el respeto por el tiempo y las emociones del paciente. Esa búsqueda de la excelencia, superando expectativas que es el WOW, no puede surgir únicamente de un documento o de una formación puntual: se practica, debe ser cultural.

Para conseguir esta transformación cultural, el punto de partida es que la dirección de la clíni-

ca tenga consciencia de la necesidad de liderar el cambio y a partir de ahí, procurar el desarrollo del talento DQX en el equipo, compartiendo qué entendemos por excelencia asistencial en nuestra clínica y qué comportamientos la hacen visible. Asignando responsabilidades concretas de experiencia del paciente a recepción, auxiliares y doctores, y empoderando al personal para resolver incidencias menores en el momento (tiempos, reprogramaciones, información complementaria), evitando escaladas innecesarias.

Pero nuestro éxito depende de profesionales apasionados y comprometidos, capaces de integrar esta transformación para crear y entregar experiencias excepcionales en todos los puntos de contacto con el paciente.

En este sentido, es absolutamente necesario tener en cuenta la experiencia del empleado, sin ella nunca alcanzaríamos los objetivos en la experiencia del paciente, (respeto, información, recursos, turnos realistas...). Un equipo cuidado cuida mejor. También debemos procurar una baja rotación de personal para preservar la memoria operativa y confianza del paciente, así como tener en cuenta cualidades como empatía y vocación de servicio, con el mismo peso que las credenciales técnicas en la contratación de personal y colaboradores.

A partir de ahí, serán necesarias unas reuniones periódicas, por un lado, centradas en el propio equipo y, por otro, en las competencias DQX o búsqueda de la excelencia en la atención del paciente. Los mismos protocolos del sistema DentalQuality eXperience marcan cadencias, temarios, talleres y role-plays transformando todo esto en hábitos de equipo: se nombran, se entrenan y se mantienen con la cadencia de revisiones descrita. Así es como el WOW deja de ser excepcional y pasa a ser estándar de la casa.

7. Conclusión: la buena odontología debe sentirse En un sector donde la excelencia técnica no siempre se ve a simple vista, lo que de verdad marca la diferencia es cómo se ejerce y se vive la odontología. La experiencia del paciente no es un adorno reputacional: es un eje de gestión. Se diseña, se mide y se entrena. Con DQX, DentalQuality® propone un camino realista para llevar esa convicción a la práctica: pequeñas decisiones bien diseñadas, repetidas con constancia, que convierten la calidad clínica en confianza duradera. 

“EL FUTURO DE LA ODONTOLOGÍA ESTÁ EN DENTSPLY SIRONA”

Xavier Carro, Vicepresidente Comercial del Grupo EMEA en Dentsply Sirona

Con motivo de la celebración del DS World Sevilla 2025 los días 19 y 20 de septiembre, Xavier Carro, Vicepresidente Comercial del Grupo EMEA en Dentsply Sirona, nos habla en esta entrevista sobre cómo trabaja la compañía para redefinir el futuro de la odontología conectada a través de la innovación continua.

 DM.- Hace un año asumió el cargo que ocupa actualmente en Europa, Oriente Medio y África (EMEA). ¿Qué prioridades estratégicas se ha marcado para esta nueva etapa?

Xavier Carro (X.C.).- Hemos puesto el foco en dos ámbitos principalmente: por un lado, poner al paciente en el centro de todo lo que hacemos, enfocándonos en qué necesitan nuestros

clientes; y, por otro lado, hemos comenzado a trabajar en cómo ayudar a los clientes clínicos a mejorar su práctica en todos los ámbitos, incluso desde la gestión para mejorar la eficiencia clínica. Desde Dentsply Sirona priorizamos al cliente, dándole los productos que él espera y siendo más específicos a la hora de desarrollar nuestros productos.

siguiendo la evolución de la Odontología

Lanzamos DS Core, nuestro servicio cloud, hace unos 3 años como una plataforma de intercambio de ficheros y ahora hemos querido darle valor a los clínicos a través de este servicio, transformándolo en una herramienta real en la que pueden realizar directamente en la nube: diagnosis, pedidos a través de la plataforma, etc. En definitiva, hemos complementado la herramienta para que los clínicos puedan aprovechar su uso al máximo.

 DM.- Este DS World tiene como lema “Navegando hacia la excelencia”. ¿Qué mensaje clave han querido transmitir a los profesionales que participan en Sevilla?

X.C.- La ubicación ha marcado mucho el congreso; Sevilla es una ciudad con una fuerte conexión con la exploración y los grandes viajes marítimos, y de ahí que se haya jugado con un espacio desde el que partieron expediciones históricas. La navegación ha inspirado el claim y todo lo que rodea al congreso. Además, hemos contado con una sesión plenaria en la que una historiadora combina la parte dental con la expedición que realizó Fernando de Magallanes partiendo desde Sevilla buscando una nueva ruta hacia Asia y que se convirtió en la primera vuelta al mundo. Así hoy en día, la tecnología se está convirtiendo en un sistema de navegación similar al que utilizaron en aquella época. Queremos explicar todo el hilo conductor de lo que Dentsply Sirona está descubriendo en el mundo y vincularlo con esas expediciones que salieron desde Sevilla hacia lo desconocido.

 DM.- El programa incluye innovación digital. ¿Cuál diría que es la gran novedad que ha marcado este encuentro?

X.C.- La compañía está dando un giro claro hacia la prestación de servicio, por lo que ampliar DS Core y reforzar todo lo que DS Core puede hacer en la clínica es la principal innovación que presenta Dentsply Sirona. Por ejemplo, SureSmile se va a poder trabajar desde DS Core directamente, sin necesidad de tener un ordenador, a través de móvil. Además, para terminar los trabajos presentamos una nueva fresadora que, en lugar de tener 4 motores como tenía la tradicional, ahora es un modelo que sólo fresa materiales blandos, muy enfocada en los composites y en las carillas, con un precio muy reducido y con unos tiempos de fresado de aproximadamente 4 minutos papa realizar una corona, y una

restauración temporal en aproximadamente 2 minutos. Así queda de nuevo patente nuestro objetivo de poner al paciente en el centro, puesto que éste cada vez quiere menos visitas a la clínica, tratamientos más rápidos y económicos, y desde Dentsply Sirona nuestro objetivo es proporcionar de las herramientas necesarias al clínico para que pueda responder a esta demanda con devices cada vez más rápidos, más económicos y más eficientes.

Uno de nuestros objetivos en la actualidad es poner al paciente en el centro ” “
La compañía está dando un giro claro hacia la prestación de servicio, por lo que ampliar DS Core es la principal innovación que presentamos ”
“ España es un mercado que está muy avanzado respecto al resto de Europa, sobre todo en cuanto a penetración de escáneres, diseños de sonrisa y tratamientos estéticos ”

 DM.- Se habla mucho de odontología conectada en la nube. ¿Cómo está transformando ya el día a día de las clínicas y laboratorios, así como la experiencia del paciente?

X.C.- Hoy en día, tenemos aproximadamente 50.000 usuarios de DS Core a nivel global y potencialmente en los próximos dos meses llegaremos a los 20.000 sólo en Europa; de estos 20.000, aproximadamente un 20% son laboratorios, lo que quiere decir que hay alrededor de unos 4.000 laboratorios conectados a DS Core, lo cual ya nos indica que el 80% de esos usuarios son clínicos que escanean, realizan diagnósticos y comparten su trabajo y colaboran en tiempo real con el laboratorio. Hoy con DS Core todos los clínicos y técnicos de laboratorio ya acceden al mismo material, imágenes, datos, etc. a la vez, en tiempo real, permitiéndoles interactuar a través de un chat, etc. La intención es además que el clínico que quiera pueda compartir esa información con el técnico de laboratorio, con cualquier monitor de la clínica y con el paciente, si así lo desea.

 DM.- La IA y la impresión 3D han tenido una presencia destacada en el programa. Desde la visión de Dentsply Sirona, ¿qué avances concretos veremos aplicados en las clínicas y laboratorios a corto plazo?

X.C.- En Dentsply Sirona siempre hemos tenido un fuerte enfoque en la IA (aunque CEREC, que fue una herramienta predictiva muy avanzada, cumple ahora 40 años), contando con un departamento dedicado a ello desde hace 15 años.

Cabe destacar que la IA va a ayudar mucho a reducir los costes de hardware (escáner intraoral, CBCT...), ofreciendo productos de calidad similar con un device de precio más reducido pero con ayuda de la IA.

En cuanto a 3D, hay dos áreas muy importantes: por un lado, la parte de hardware como tal, con la que puedes imprimir, fresar o realizar los trabajos; y, por otro, los materiales que se van a utilizar para construir los materiales finales. En el ámbito del fresado y la impresión, este año se espera la llegada de 15-20 nuevos materiales en el mercado que van a transformar la velocidad, la calidad y la precisión de los trabajos.

Nosotros seguimos apostando mucho por el fresado, porque a día de hoy la tecnología de fresado es superior a la de impresión, aunque están llegando muchas soluciones de impresión en ortodoncia (alineadores).

 DM.- EMEA abarca mucha diversidad de mercados con realidades y proyecciones diferentes. Dentro de esa visión, ¿qué papel ocupa España en la estrategia de la compañía y qué oportunidades específicas ve en este mercado?

X.C.- España, al igual que otros mercados de Europa Occidental, es un mercado ya muy maduro, en el que los crecimientos que podemos esperar son muy moderados; básicamente sólo la categoría de alineadores está creciendo con mucha fuerza, mientras que la de los implantes está perdiendo velocidad y la endodoncia está en un ciclo muy maduro y establecido. Por tanto, creemos que hay mucha atracción en la ortodoncia y España es un país muy avanzado y que continúa creciendo en dirección a la estética dental (carillas, etc.), quedándole todavía mucho recorrido a este ámbito. En cuanto al rol que ocupa Iberia dentro de EMEA para Dentsply Sirona, en valor absoluto comprende una parte pequeña (la facturación de la compañía en Europa alcanza los 1.400 millones de euros aproximadamente), con menos del 10% de la facturación total, por lo que no tiene el peso específico que tienen otros grandes países. Sin embargo, España como mercado maduro nos puede ayudar a seguir avanzando con pequeños “experimentos” de productos piloto para ver si funcionan o analizar las mejoras a realizar para su éxito en el resto de países. No obstante, España es un mercado que está muy avanzado respecto al resto de Europa, sobre todo en cuanto a penetración de escáneres, diseños de sonrisa, tratamientos estéticos, etc. Por ejemplo, España está en el top 3 de países más avanzados en escáneres intraorales en Europa.

siguiendo la evolución de la Odontología

 DM.- Recientemente mencionó que Dentsply Sirona ha evolucionado hacia ciclos de innovación continua. ¿Cómo influye esta estrategia en la adopción de nuevas tecnologías por parte de los profesionales del sector dental? X.C.- Lanzar innovaciones continuamente es un reto. En Dentsply Sirona siempre estamos innovando, lanzando prácticamente un producto nuevo cada mes.

En este caso, me gustaría hacer un paralelismo con la tecnología móvil; hace 15 años la gente cambiaba de móvil cada 5 años, luego cada 3 años y ahora, una vez alcanzado el ciclo de madurez del sector, cada vez se reduce más este tiempo porque la inversión no compensa. Del mismo modo, en odontología estaremos en 1-2 años en el pico máximo de innovación en el que tendremos que volver a reducir el ritmo y lanzar escáneres y el resto de productos en lugar de cada año, hacerlo cada dos...

Hoy por hoy la velocidad de innovación en el sector odontológico sigue siendo muy alta y esto tiene una implicación muy importante en la formación. Hay clínicos que desde que salieron de la universidad sólo van una vez al año a un congreso y eso no les permite estar formados en las últimas tecnologías, ni siquiera utilizarlas; sin embargo, las nuevas generaciones de profesionales están muy enfocados en la nueva tecnología y seguir aprendiendo muy deprisa en las últimas tendencias. Por tanto, tenemos que ganar más presencia en las universidades para asegurarnos de que éstas son el verdadero canal conductor e informador de los

jóvenes en las nuevas tecnologías y, por otro lado, reforzar el papel que tienen eventos como el DS World, en el que hay talleres, workshops, charlas científica..., con un programa muy diverso que permite actualizarse en nuevas tecnologías tanto en lo que se refiere a conocimientos científicos como en la aplicación clínica. De esta manera, nosotros seremos parte de esa formación, involucrando también a las universidades.

 DM.- ¿Qué papel jugará Dentsply Sirona en liderar la transición hacia una odontología más digital, eficiente y sostenible?

X.C.- Hay una nueva directriz para el 2027 en el que todas las industrias tienen que ser neutrales en la emisión de carbono, lo cual supone un importante reto para la empresa en el que influyen muchos factores: packaging, materiales, transporte, residuos, etc.

En cuanto a sostenibilidad, en Dentsply Sirona tenemos varios objetivos y programas: uno muy enfocado a la reducción del uso del packaging, para mejorar el reciclado del plástico, incluyendo los alineadores, se estudia cómo reutilizarlos y darles una segunda vida o cómo recogerlos para evitar su impacto en el medio ambiente; y también contamos con un programa interno con el que pretendemos conseguir en 2027 cero dependencia energética que no sea renovable o sostenible y alcanzar cero residuos.

Dentsply Sirona fue premiada como la Empresa Más Verde de la Industria en Estados Unidos y la intención es expandir esto al resto de mercados en los que opera la compañía, siendo líderes en ecología y sostenibilidad en esta industria.

 DM.- Si tuviera que resumir en una frase el futuro de la odontología digital y el papel de Dentsply Sirona en él, ¿cuál sería?

X.C.- Nuestro claim dice “Future of dentistry is here”. El futuro de la odontología está aquí, en Dentsply Sirona. Estamos orgullosos de ser una de las pocas empresas que reúne todos los productos y servicios que los dentistas necesitan para tratar a sus pacientes y gestionar su consulta exitosamente. 

“ Hoy por hoy la velocidad de innovación en el sector odontológico sigue siendo muy alta y esto tiene una implicación muy importante en la formación ”

https://www.dentsplysirona.com/en/why-ds/about-ds/newsroom/news-details.html/ content/dam/master/news/en/corporate-news/2025/dentsply-sirona-named-one-of-theworld-s-greenest-companies-2025-by-newsweek

gestión de clínicas

EFICIENCIA REAL,

RENTABILIDAD

SOSTENIBLE

Y MÁS

CALMA EN LA CLÍNICA DENTAL

En el primer semestre de 2025, la red Clínicas W ha incrementado de media un 12% su resultado operativo, mejorando la facturación y el control de costes gracias a su metodología Odontología Slow. Y todo, cuidando al detalle la experiencia del paciente.

Dra. Ana Roig, de Clínica Dental Ana Roig de Guadassuar (Valencia).

siguiendo la evolución de la Odontología

La red odontológica Clínicas W avanza hacia el último semestre del año con un crecimiento que se sustenta en la incorporación y optimización de su Odontología Slow, metodología que aplican en decenas de clínicas dentales en España con el compromiso de mejorar más allá del sillón dental para que el paciente sienta la excelencia en su visita al dentista.

Las cifras hablan por sí solas. Las clínicas dentales que forman parte de la red han visto incrementada de media un 2% su facturación total en los primeros seis meses del año en comparación con el mismo periodo de 2024, lo que anticipa un ejercicio sólido en términos de resultados. Además, lejos de apoyarse en un mayor volumen asistencial, este crecimiento responde a una mejor organización interna, control de costes y planificación operativa.

Producir mejor, no más

Uno de los avances más relevantes de este semestre ha sido la capacidad de las clínicas para sacar mayor rendimiento de cada tratamiento, sin necesidad de aumentar la carga de trabajo. Pequeñas mejoras en la forma de planificar, reducir compras

innecesarias o gestionar mejor los recursos del laboratorio han permitido que cada cita sea más eficiente y más rentable. Todo ello, además, sin sacrificar tiempo con el paciente ni la calidad asistencial. La Odontología Slow introduce una serie de mejoras que les permite trabajar con más orden, menos desperdicio y mayor conciencia sobre el impacto de cada decisión en la clínica. La organización clara de agendas, la anticipación de los tratamientos y la eliminación de tiempos muertos contribuyen a que cada cita sea más rentable... y más tranquila.

Gestión integral

Si algo define al modelo de Clínicas W no es solo su capacidad de generar mejores márgenes, sino su

Dr. Rafael Flores, de Clínica Dental Rafael Flores de Sevilla.

gestión de clínicas

compromiso con una manera diferente de ejercer la profesión. En un sector en el que el estrés se convierte en el peor enemigo de muchos profesionales, la red aboga por gestión, control y una odontología en calma y más humana.

La base de su método slow se apoya sobre cuatro pilares esenciales: orden, foco, estructura y acompañamiento real. Cada una de sus clínicas cuenta con las herramientas necesarias para tomar decisiones con criterio, siguiendo los protocolos establecidos pero sin perder la esencia ni la autonomía profesional y empresarial. De hecho, Clínicas W se consolida como la primera de red de clínicas dentales con nombres y apellidos, confiando el crecimiento en el prestigio de los profesionales que quieren mejorar la experiencia del paciente y el bienestar del equipo.

Vivir y servir mejor

Si algo define al modelo de Clínicas W no es solo su capacidad de generar mejores resultados, sino su compromiso con una manera diferente de ejercer la profesión. Más allá de las cifras, el método de gestión aplicado por Clínicas W demuestra que se puede mejorar sin necesidad de correr, y que se puede crecer dando valor al servicio odontológico. La clave está en la combinación de cuatro elementos esenciales: protocolos bien diseñados, acompañamiento real, control financiero y cultura organi-

zativa centrada en el paciente. Esto permite a cada clínica saber en qué punto está y, sobre todo, cómo mejorar sin perder el alma del proyecto. Uno de los aspectos mejor valorados por los doctores y gerentes que forman parte de la red es precisamente ese: recuperar la calma en la gestión, sin renunciar a la excelencia clínica ni a la rentabilidad económica. En un sector donde muchos propietarios viven atrapados por la falta de tiempo y el exceso de tareas, la Odontología Slow de Clínicas W devuelve el orden, el foco y la estructura a la clínica dental.

Control y decisión

Otro aspecto destacable de los datos que arroja el primer semestre de Clínicas W ha sido el control de los gastos generales, reduciéndose en casi tres puntos respecto al año anterior. Mientras tanto, el resultado operativo (EBITDA) ya alcanza el 62% del total de 2024, unas cifras que refuerzan la idea de que una gestión eficiente, además de ser rentable, también puede ser sostenible.

Clínicas W lleva años defendiendo una odontología basada en la calma, la planificación y el valor del tiempo tanto del paciente como del profesional. Hoy, esos principios no solo se reflejan en la atención clínica, sino también en la seguridad financiera de las clínicas adheridas a la red. O dicho de otra forma: menos caos, más control; menos incertidumbre, más proyección de futuro. 

Dr. Miguel Noguer, de Clínica
Dental Miguel Noguer de Barcelona.

pensando en el futuro

MIDAS, LA IMPRESORA 3D QUE

TRANSFORMA

AL

DENTISTA

ANALÓGICO EN PROTAGONISTA DEL FLUJO DIGITAL

Este no es un artículo más sobre impresión 3D. Es una reflexión práctica y basada en la experiencia clínica sobre cómo la tecnología MIDAS de SprintRay ha roto una de las barreras más resistentes en la odontología moderna: la que separa al dentista tradicional del universo digital.

Gracias a un ecosistema cerrado, automatizado e intuitivo, MIDAS permite que cualquier clínico, sin conocimientos previos en diseño CAD, pueda fabricar coronas, carillas o incrustaciones definitivas en menos de 10 minutos, directamente en la consulta.

Ya no se trata de futuro: es una solución tangible, eficiente y científicamente respaldada que redefine la práctica restauradora desde el escáner intraoral hasta la boca del paciente.

1. Introducción: la democratización de la impresión 3D Tradicionalmente, la impresión 3D ha sido dominio de laboratorios dentales con experiencia técnica y software CAD/CAM avanzado.

MIDAS cambia este modelo: su diseño y flujo cerrado permiten que cualquier clínico con un escáner intraoral pueda producir restauraciones definitivas en minutos sin conocimientos completos sobre diseño digital.

El objetivo de SprintRay con MIDAS es acercar la odontología restauradora inmediata a profesionales sin formación digital previa, con un sistema intuitivo, automatizado y validado teniendo solamente que escanear y enviar a la impresora que, a través del proceso de inteligencia artificial, diseña y sugiere la fabricación de la estructura dentaria correspondiente.

siguiendo la evolución de la Odontología

2 Tecnología DPS: estereolitografía por presión digital

MIDAS utiliza una tecnología exclusiva denominada Digital Press Stereolithography (DPS).

Esta variante de la estereolitografía aplica presión positiva durante el proceso de curado, lo cual mejora significativamente la definición de bordes y la adaptación marginal.

La presión elimina burbujas, mejora la homogeneidad estructural de la resina y permite la fabricación de restauraciones ultrafinas con espesores tan bajos como 200 micras, ideal para carillas estéticas. A medida que el embolo de un lado desciende por la presión automatizada del sistema, el otro embolo especialmente diseñado para ir imprimiendo capa por capa sin movimientos ascendentes y descendentes como en otras impresoras tradicionales, permite realizar una impresión más exacta y precisa sin movimientos de subida y bajada, lo que se convierte en resultados más precisos.

Esto va sucediendo progresivamente mientras el otro émbolo para presionando lentamente mientras que en el embolo de impresión va posicionando el diseño de la corona impreso con sus soportes. Todo esto puede ocurrir entre 5 a 7 minutos dependiendo de la altura de esos soportes de fijación.

MIDAS introduce un cartucho de resina “todo en uno” (llamado Resin Capsule o cápsula de resina) de un solo uso. Esta cápsula reemplaza al tanque de resina, al bote de resina y a la plataforma de construcción tradicionales, conteniendo todos los elementos necesarios para fabricar una restauración dental. Dentro de la cápsula se encuentra tanto la resina biocompatible (pre-cargada y vacío-sellada para evitar burbujas de aire) como una mini plataforma de impresión desechable sobre la que se formará la pieza dental.

Dr. Fernando Germán Director de Dentinova Academy Barcelona. SprintRay KOL. Medit KOl.
Artículo patrocinado

pensando en el futuro

Perspectiva futura de la tecnología DPS en la evolución de las resinas dentales

Se prevé que las próximas generaciones de resinas dentales desarrolladas para impresión 3D incorporen una mayor concentración de cargas cerámicas y polímeros orgánicos de alto peso molecular. Estas formulaciones darán lugar a materiales más viscosos y estructuralmente complejos, con una red de reticulación más densa que incrementará significativamente su resistencia mecánica, módulo de elasticidad y estabilidad térmica.

Sin embargo, estas propiedades también implicarán mayores desafíos durante el proceso de impresión, ya que la alta viscosidad dificultará su fotopolimerización mediante tecnologías convencionales. Es precisamente en este contexto donde la tecnología Digital Press Stereolithography (DPS) de MIDAS adquiere un papel estratégico: su capacidad de aplicar presión positiva controlada durante la impresión permite la extrusión y conformación precisa de estas resinas de alta densidad en capas ultrafinas, garantizando definición marginal, adaptación y continuidad estructural que otras impresoras no podrían alcanzar sin comprometer la precisión ni la integridad de la restauración.

Beneficios clínicos de la impresión 3D con MIDAS en formato Chairside

El sistema de impresión 3D MIDAS ofrece importantes ventajas clínicas en el entorno chairside (en consulta), permitiendo fabricar coronas definitivas en tan solo 5 minutos, perfectamente ajustadas al tallado realizado. Gracias a esta velocidad y precisión, el tratamiento puede completarse en una sola visita, sin necesidad de colocar coronas provisionales ni programar segundas citas. Esto no solo ahorra tiempo al profesional, sino que también mejora significativamente la experiencia del paciente. La rapidez, comodidad y calidad del resultado final se traducen en mayor satisfacción, lo que a su vez favorece la fidelización y genera más recomendaciones

3. Protocolo clínico de uso: del escáner a la boca

El flujo de trabajo se divide en cuatro etapas integradas:

 1ª ETAPA:

Escaneado intraoral: se emplea un escáner como Medit i700 o el nuevo Medit i900 o similar. Cualquier escaneado es compatible. La compatibilidad es amplia gracias a archivos abiertos STL u OBJ.  2ª ETAPA:

Diseño automático por IA: puede realizarse mediante SprintRay Cloud Design o integraciones directas (ex. Medit App ClinicCAD).

El usuario recibe el diseño validado en la nube, sin necesidad de modelado manual. El diseño por IA de MIDAS puede realizarse a través de la inteligencia de dos sistema potentes.

La IA de 3Shape con más de 50.000.000 de diseños realizados y las IA del propio sistema de SprintRay lo que devuelve un diseño de coronas o incrustaciones en tiempo record y con muchísima exactitud. Posteriormente se envia a la impresora que está en línea.

 3ª ETAPA:

Impresión: MIDAS imprime coronas, carillas o incrustaciones en menos de 7 minutos. Su plataforma precalibrada y el reconocimiento automático del tipo de resina evitan errores del operador.

 4ª ETAPA:

Post-procesado: las piezas se lavan con alcohol isopropílico o SprintRay Wash y se curan. El ciclo validado garantiza las propiedades mecánicas requeridas para uso definitivo.

Luego, colocación con cementación según protocolo.

siguiendo la evolución de la Odontología

4. Materiales validados: ONX y Ceramic Crown

 ONX: resina reforzada con nanopartículas cerámicas. Indicado para sectores posteriores. Resistencia a la flexión >150 MPa. Fácil de maquillar, alta estabilidad cromática.

 Ceramic Crown: resina de última generación con refuerzo de zirconia. Resistencia >250 MPa. Mejor opalescencia, comportamiento ante desgaste y adaptación marginal en zonas de alta carga o bruxismo. Ambos materiales están certificados como productos sanitarios CE para restauraciones definitivas en boca.

5. Seguimiento clínico y durabilidad

Estudios internos y reportes clínicos han mostrado un rendimiento clínico satisfactorio de ambas resinas hasta los 18-24 meses y aún más especialmente en casos unitarios. Se recomienda seguimiento semestral, verificación oclusal y control del desgaste funcional. En carillas, los resultados estéticos se mantienen estables incluso con espesores de 0,3 mm.

6. Ventajas para el dentista no digital

 Flujo simplificado sin diseño CAD.

 Interfaz tipo “paso a paso” desde aplicación móvil.

 Bajo coste por unidad (<5 EUR).

 Producción en menos de 10 minutos.

 Amortización en menos de 6 meses en clínicas con alto volumen.

 Compatible con casos urgentes, estética inmediata y odontología migratoria.

 Beneficios económicos de retorno de inversión con MIDAS.

7. Desventajas y consideraciones

Limitación actual a restauraciones unitarias. No incluye software CAD para diseños personalizados complejos o fuera de la estandarización como puentes Maryland o similar.

El sistema de diseño de IA no elabora puentes (por ahora). La precisión marginal depende del correcto post-procesado.

Requiere curva de aprendizaje leve en los protocolos de lavado y curado.

8. Cumplimiento normativo y seguridad

La impresora MIDAS y los materiales ONX y Ceramic Crown están registrados bajo el Reglamento (UE) 2017/745 (MDR) como productos sanitarios clase IIa. Cumplen las normas ISO 10993 (biocompatibilidad), ISO 4049 (resistencia de materiales restauradores) y estándares de trazabilidad clínica. Esto asegura su uso como restauraciones definitivas a largo plazo bajo los principios de seguridad del paciente.

Reflexión de un dentista analógico convertido en digital charside

MIDAS se posiciona como una herramienta clínica revolucionaria que acerca la impresión 3D a la realidad cotidiana de cualquier consulta.

Su facilidad de uso, tiempos de fabricación récord y materiales con respaldo científico y normativo hacen de esta plataforma una solución ideal para la odontología restauradora moderna. Aunque sus limitaciones la enfocan a restauraciones unitarias, su impacto en productividad y autonomía clínica es incuestionable. La impresión directa en consulta ya no es una promesa futura, sino una realidad tangible para el dentista del presente. 

“EXPERTOS NACIONALES E INTERNACIONALES APORTARÁN

UNA VISIÓN GLOBAL Y ACTUALIZADA SOBRE LOS AVANCES EN CIRUGÍA BUCAL E IMPLANTOLOGÍA”

Dr. Jesús Torres y Dra. Isabel Leco, presidente y vicepresidenta del Comité Organizador del XXII Congreso SECIB Madrid (7 y 8 de noviembre de 2025)

La vigésimo segunda edición del Congreso de la Sociedad Española de Cirugía Bucal (SECIB), que tendrá lugar los días 7 y 8 de noviembre en Madrid, ofrecerá a los profesionales la respuesta a los retos clínicos actuales y a las oportunidades que ofrece la tecnología. Así lo explican el Dr. Jesús Torres y la Dra. Isabel Leco, presidente y vicepresidenta del Comité Organizador del Congreso SECIB Madrid 2025, quienes además nos avanzan algunas de las novedades de este encuentro como la incorporación de bloques específicos sobre inteligencia artificial y cirugía robótica aplicada a la odontología, entre otras.

Dr. Jesús Torres.
Dra. Isabel Leco.

 DM.- ¿Cuáles serán los principales bloques temáticos del programa del XXII Congreso SECIB? ¿Qué novedades se incorporan en esta nueva edición?

Dres. Jesús Torres e Isabel Leco (Dres. J.T. e I.L.).Hemos diseñado un programa científico ambicioso que responde a los retos clínicos actuales y a las oportunidades que ofrece la tecnología. El programa del Congreso SECIB 2025 se estructura en torno a los bloques temáticos: cirugía regenerativa avanzada, implantes en situaciones complejas, tecnología digital, manejo de la periimplantitis, cirugía multidisciplinar y medicina oral, cirugía robótica y formación específica para higienistas.

Cada bloque aborda desafíos clínicos actuales, desde técnicas regenerativas y manejo de atrofias severas con implantes cigomáticos o subperiósticos, hasta la integración de escáneres, software 3D e IA en la planificación quirúrgica.

Como novedades, esta edición incorpora por primera vez bloques específicos sobre inteligencia artificial y cirugía robótica aplicada a la odontología. Además, se potencia un enfoque más clínico, multidisciplinar y colaborativo con la industria. Y la celebración de una mesa redonda donde se abordará la situación actual de la cirugía bucal en Atención Primaria.

 DM.- ¿Qué temas de actualidad centrarán el programa?

Dres. J.T. e I.L.- Destacan especialmente la integración de la inteligencia artificial y la planificación digital, con sesiones dedicadas a su aplicación en

“ Hemos diseñado un programa científico ambicioso que responde a los retos clínicos actuales y a las oportunidades que ofrece la tecnología ”

diagnóstico, cirugía guiada y diseño de prótesis. También adquieren protagonismo la cirugía robótica, un campo emergente que se presenta como una de las grandes innovaciones clínicas de esta edición. Otros temas relevantes incluyen el manejo de la periimplantitis, con nuevas estrategias terapéuticas y de prevención, y el abordaje de casos complejos mediante implantes cigomáticos, subperiósticos y transnasales, que responden a situaciones de atrofia ósea severa. Además, se apuesta por un enfoque multidisciplinar, integrando la cirugía con especialidades como ortodoncia, periodoncia o medicina oral.

 DM.- ¿Quiénes serán los expertos más destacados que participarán en el XXII Congreso SECIB Madrid 2025?

Dres. J.T. e I.L.- El XXII Congreso SECIB Madrid 2025 contará con la participación de un destacado grupo de expertos nacionales e internacionales, quienes aportarán una visión global y actualizada sobre los avances en cirugía bucal e implantología.

sociedad científica

Como novedades, esta edición incorpora por primera vez bloques específicos sobre inteligencia artificial y cirugía robótica aplicada a la odontología ”

Entre los ponentes internacionales figuran reconocidas figuras como Howard Gluckman, Chantal Malevez, Marco Ronda, Emilo Couso, Fang Yang y Faleh Tamimi, especialistas de prestigio mundial en técnicas avanzadas de implantología, regeneración ósea y aplicaciones de inteligencia artificial y robótica en odontología.

Por parte de España, el Congreso reunirá a referentes nacionales con gran prestigio internacional, quienes compartirán su amplia experiencia clínica y científica. Esta combinación de ponentes nacionales e internacionales garantizarán un intercambio enriquecedor de conocimientos, promoviendo la innovación y el desarrollo de nuevas técnicas que respondan a los retos actuales del sector. Esta diversidad de ponentes asegura un programa sólido, multidisciplinar y con una perspectiva integral para los asistentes.

 DM.- Además del programa de ponencias, el Congreso contará con el Simposio Universidades y un curso para higienistas. ¿Qué aportarán cada una de estas actividades a los congresistas?

Dres. J.T. e I.L.- El Simposio Universidades, con la participación de más de una veintena de universidades españolas, ofrecerá a los congresistas una valiosa oportunidad para conocer los avances más recientes en investigación y formación académica en cirugía bucal e implantología. A través de la presentación de proyectos, estudios y experiencias docentes, los asistentes podrán conectar con el entorno académico, descubrir nuevas líneas de investigación y fortalecer la colaboración entre los profesionales y la universidad. Por su parte, el curso para higienistas está diseñado para actualizar y especializar a estos profesionales en protocolos clínicos específicos, manejo de periimplantitis y el uso de herramientas digitales en implantología. Esta formación práctica contribuirá a mejorar la calidad asistencial y fomentará un trabajo multidisciplinar más eficaz dentro del equipo odontológico, beneficiando tanto a los higienistas como a los profesionales clínicos asistentes al congreso.

 DM.- El encuentro combinará actividades científicas con actividades lúdicas. ¿Cuál es el objetivo de este nuevo enfoque?

Dres. J.T. e I.L.- Madrid, con su vibrante vida cultural, sus históricos monumentos, museos de renombre mundial como el Prado o el Reina Sofía, y sus tradicionales barrios llenos de encanto, ofrece el escenario perfecto para que los asistentes disfruten de momentos de ocio y desconexión entre las sesiones científicas. Además, la reconocida vida nocturna madrileña brinda una oportunidad única para socializar y relajarse tras las jornadas intensas del congreso. Esta combinación cultural y lúdica enriquece la estancia, fomentando el networking en un entorno distendido y estimulante.

 DM.- ¿Cuál será el papel de la industria en el XXII Congreso SECIB Madrid 2025?

Dres. J.T. e I.L.- La industria y las casas comerciales juegan un papel fundamental en el Congreso SECIB Madrid 2025, especialmente a través del Simposio Industria, un foro clave para la presentación de innovaciones tecnológicas y avances en cirugía bucal e implantología. Este espacio facilita el diálogo especializado entre profesionales y empresas, impulsando la transferencia tecnológica y el desarrollo clínico. Paralelamente, la exposición comercial ofrece un área estratégica donde las casas comerciales presentarán sus últimas soluciones, productos y equipos, permitiendo una interacción directa y práctica con los asistentes.

 DM.- ¿A qué perfil de profesionales está dirigido el Congreso?

Dres. J.T. e I.L.- Este Congreso está dirigido principalmente a profesionales cuya práctica clínica se centra en la cirugía bucal, implantología, periodoncia y medicina bucal, incluyendo también a prostodoncistas, ortodoncistas y odontólogos generales interesados en técnicas avanzadas y actualizaciones en estos ámbitos. Asimismo, contempla la participación de higienistas y otros profesionales del área odontológica, gracias a un programa científico diseñado para favorecer la actualización continua y el intercambio de conocimientos en procedimientos clínicos y avances tecnológicos. 

¡Os esperamos a todos en el Congreso SECIB Madrid 2025!

7-8 noviembre 2025

Cirugía Regenerativa

Howard Gluckman  Marco Ronda

Juan Zufía  Sergio García Moreno

Alternativas a la ROG

Néstor Montesdeoca  Asier Eguía

Chantal Malevez

Mario Pérez-Sayans Cirugía multicisciplinar y Medicina oral

David Rubio  Pau Cahuana  Eva Willaert

Rosa Mª López-Pintor  Lorenzo Arriba

Inteligencia artificial y Planificación digital

Faleh Tamini  Fernando Cebrián

Francisco Carroquino  Alejandro Prieto

Octavi Camps

Manejo y prevención de Peri-implantitis

Alberto Monje  Javier Gil  Emilio Couso

Jorge Toledano

Cirugía Robótica

Guillermo Pradíes  Fang Yang

Implantes en arbotantes óseos

Rubén Davó  Iñaki Mayo  Arturo Bilbao

Casos clínicos Desafíos diagnósticos en patología ósea y de la mucosa oral

Javier Alberdi  Irene Lafuente

Pilar Gándara  Beatriz González

Isabel Gallardo  Leticia Bagán

Casos clínicos Manejo multidisciplinar del tratamiento con implantes

Alba Sánchez  J. Carlos Bernabeu

Esther Muñoz Octavi Ortiz

Ginés Aranda

Simposio Industria

Fernando Suárez  Jesús Moreno

Carlos Parra  Tomas Beca  Luis Sánchez

Jorge Caubet

Curso higienistas

Cristina Meniz  Jorge Cortés-Bretón

María Rioboo  Berta García Mira

Cirugia Bucal en Atención Primaria www.secibonline.com

“Cada decisión importa, elige el camino correcto”

“SE NECESITA PROMOVER UNA

CULTURA PROFESIONAL

BASADA EN LA ODONTOLOGÍA INCLUSIVA, ACCESIBLE

Y HUMANIZADA”

Dra. Lizett Castellanos Cosano, presidenta de la Sociedad Española de Odontoestomatología para pacientes con Necesidades Especiales (SEOENE) y del Comité Organizador del XVII Congreso Nacional SEOENE 2025 (14 y 15 de noviembre, Sevilla)

Los días 14 y 15 de noviembre Sevilla acogerá el XVII Congreso Nacional de la Sociedad Española de Odontoestomatología para pacientes con Necesidades Especiales (SEOENE) 2025, un encuentro dirigido a “fomentar un modelo de odontología inclusiva, centrado en una atención integral y de alta calidad para pacientes con necesidades especiales y/o condiciones clínicas complejas”. Así lo explica en esta entrevista la presidenta de SEOENE y del Comité Organizador del Congreso, la Dra. Lizett Castellanos Cosano, quien destaca además la apuesta de SEOENE por la formación especializada e interdisciplinar a través de este evento.

 DM.- ¿Cuál es el objetivo del próximo Congreso Nacional SEOENE 2025?

Dra. Lizett Castellanos Cosano (Dra. L.C.C.).- El objetivo principal de este congreso es fomentar un modelo de odontología inclusiva, centrado en una atención integral y de alta calidad para pacientes con necesidades especiales y/o condiciones clínicas complejas. Buscamos ofrecer una formación especializada e interdisciplinar que conecte el ámbito médico, odontológico e interprofesional. A través de conferencias, talleres prácticos y mesas redondas, promoviendo la colaboración entre profesionales de la salud y, de manera esencial, contar con la presencia de asociaciones de pacientes. Nuestro propósito es establecer un sistema de cuidado accesible y verdaderamente centrado en la persona.

 DM.- ¿Cuáles serán las principales temáticas que se tratarán durante el Congreso?

Dra. L.C.C.- El congreso busca dar respuesta a varias necesidades formativas específicas:

 Actualización clínica en el diagnóstico, manejo y tratamiento interdisciplinar de patologías con impacto médico-odontológico.

 Adquisición de competencias en la atención a pacientes con necesidades especiales, enfermedades sistémicas, deterioro cognitivo, discapacidad intelectual o limitaciones funcionales.

 Capacitación para el trabajo en equipo interdisciplinar, promoviendo una atención integral, segura y basada en evidencia.

 Conocimiento de nuevas tecnologías, protocolos clínicos y abordajes terapéuticos que integren la práctica odontológica y médica.

 Sensibilización sobre el enfoque centrado en la persona, más allá de la enfermedad, considerando factores sociales, funcionales y familiares.

 DM.- Dada la importancia del tratamiento multidisciplinar de los pacientes con necesidades especiales, ¿a qué perfil de profesionales está dirigido el XVII Congreso Nacional SEOENE?

Dra. L.C.C.- Este congreso está dirigido a dentistas, médicos especialistas y profesionales sanitarios, especialmente aquellos implicados en la atención integral a pacientes con condiciones médicas complejas, crónicas, discapacidades o necesidades especiales. Se orienta también a profesionales interesados en el enfoque multidisciplinar, la innovación clínica y la mejora de la calidad de vida a través del trabajo conjunto que se establece entre la Medicina y la Odontología.

 DM.- El encuentro acogerá una mesa redonda sobre el estado de la atención odontológica a pacientes con necesidades especiales en la Sanidad. ¿Cuáles son, en su opinión, los aspectos a mejorar desde las administraciones públicas en este ámbito?

Dra. L.C.C.- Uno de los principales problemas que hemos observado en las administraciones públicas en España en lo que respecta a la atención odontológica para pacientes con necesidades especiales, es la falta de equidad respecto a las prestaciones sanitarias ofrecidas en función de la Comunidad Autónoma. La capacidad para cumplir los objetivos de salud en pacientes con necesidades especiales, depende directamente de la implementación efectiva y/o real de la cartera de prestaciones que plantea cada comunidad autónoma, así como del acceso al equipamiento necesario para el desempeño de la labor a alcanzar, pero por encima de todo depende de la disponibilidad de personal cualificado capaz de brindar una atención odontológica de calidad a estos pacientes. Se han de difundir vías ya implementadas de manera efectiva en algunas comunidades autónomas que permiten ofrecer a

El objetivo principal de este congreso es fomentar un modelo de odontología inclusiva,

centrado en una atención integral y de alta calidad para pacientes

con necesidades especiales y/o condiciones clínicas complejas ”

los pacientes con necesidades especiales un servicio odontológico de calidad como, por ejemplo, mediante la vinculación de la prestación del servicio odontológico a través de la Universidad, la externalización a profesionales capacitados para ello o bien la formación de los profesionales públicos. La disparidad de prestaciones entre las distintas comunidades autónomas se percibe como una barrera significativa. La falta de equidad en la atención bucodental para pacientes con necesidades especiales constituye un problema crucial, cuya resolución debería ser un objetivo primordial a conseguir en un sistema sanitario verdaderamente inclusivo.

 DM.- En este sentido, ¿de qué manera se abordarán los retos a los que se enfrentan los profesionales de la odontología en el manejo de pacientes con necesidades especiales durante el Congreso SEOENE 2025?

Dra. L.C.C.- El Congreso de la Sociedad Española de Odontoestomatología para Pacientes con Necesidades Especiales (SEOENE) abordará los retos a los que se enfrentan los profesionales de la odontología de la siguiente manera:

 Abordaje científico y clínico:

w Se tratará el manejo odontológico especializado de pacientes con enfermedades sistémicas como el Alzheimer, demencia o aquellos que toman bifosfonatos.

w El programa incluye sesiones sobre técnicas avanzadas de cirugía y operatoria para pacientes frágiles o con movilidad reducida, así como endodoncia bajo sedación o anestesia general.

w El congreso se centrará en el empleo de innovación tecnológica como el uso de tecnología, genética e inteligencia artificial para el diagnóstico y tratamiento de pacientes con síndrome de Down, trastorno del espectro autista (TEA) o enfermedades raras.

sociedad científica

w Se complementará con talleres sobre odontopediatría adaptada, biomateriales y la realización de endodoncias en pacientes sedados.

 Colaboración y compromiso social:

w El congreso busca ser un espacio interdisciplinar que promueva la colaboración entre profesionales sanitarios, cuidadores, gestores, asociaciones de pacientes y entidades sociales.

w Se celebrará una mesa redonda para analizar el estado de la atención odontológica pública a pacientes con necesidades especiales en el ámbito nacional, con la participación de ILUNION y coordinadores de planes del ámbito sanitario de la sanidad pública.

w El evento fomentará la cooperación entre profesionales de la medicina y la odontología para mejorar la calidad de vida de los pacientes a través de un enfoque multidisciplinar e inclusivo.

 DM.- Sobre el estado actual de la formación odontológica en el manejo de pacientes con necesidades especiales, ¿cómo se abordará dicha temática en el Congreso?

Dra. L.C.C.- Se dará inicio al Congreso con una Mesa Redonda titulada “Estado de la formación odontológica en pacientes con necesidades especiales: especialidades odontológicas” y para ello se contará con el Dr. Pedro Diz Dios, presidente de la International Association for Disability & Oral Health (IADH), que compartirá el estado de la formación odontológica y de la sanidad en pacientes con

necesidades especiales en el ámbito internacional; así como con el Dr. Lluis Giner, presidente de la Conferencia de Decanos de las Facultades de Odontología de España, y el Dr. Daniel Torres Lagares, Dentista del Año y presidente de la Comisión de las Especialidades del Consejo General de Dentistas, con el Dr. Guillermo Machuca Portillo, Catedrático de la Universidad de Sevilla Coordinador y responsable de la asignatura de Odontología en Pacientes Especiales en la Facultad de Odontología como moderador de la mesa, y la participación de la Fundación Tecnología y Salud (Fundación Fenin) como patrocinadores del proyecto.

 DM.- ¿Cómo se tratará durante el encuentro la aplicación de nuevas tecnologías en el manejo de pacientes con necesidades especiales?

Dra. L.C.C.- Durante el encuentro, la aplicación de nuevas tecnologías en el manejo de pacientes con necesidades especiales será abordada desde varios enfoques complementarios que combinan ciencia, práctica clínica e innovación tecnológica:

 Nuevos biomarcadores orales apoyados por análisis automatizados:

w La Dra. Inmaculada Tomás tratará el microbioma oral como herramienta diagnóstica, y aunque este eje es más amplio, se puede prever la integración de IA en el análisis de grandes volúmenes de datos microbiológicos, útiles en la detección precoz de enfermedades orales y sistémicas en población vulnerable.

 Inteligencia Artificial (IA) en el diagnóstico y la planificación del tratamiento:

w La Dra. Catalina Benassar y Dra. Sebastiana Arroyo presentarán herramientas de IA específicamente aplicadas al manejo del paciente con Trastorno del Espectro Autista (TEA), lo cual puede incluir desde sistemas predictivos hasta apoyos en la comunicación y personalización del entorno clínico.

w La Dra. Julia Guerrero y el Dr. Miguel Pecci abordarán aplicaciones informáticas de ayuda diagnóstica, orientadas a facilitar la toma de decisiones clínicas en pacientes con necesidades especiales con el beneplácito del Dr. Vicente Ferrer Pérez, Profesor de la Universidad de Murcia y CEO de NOVIK.

 Tecnología digital aplicada al tratamiento clínico:

w La Dra. Ana López Jiménez hablará sobre el uso del escáner intraoral en pacientes con necesidades especiales, destacando cómo estas tecnologías mejoran el confort, reducen el tiempo clínico y aumentan la precisión, incluso en pacientes con dificultades de colaboración.

 DM.- ¿En qué consistirán los talleres teórico-prácticos que se llevarán a cabo en el marco del Congreso?

Dra. L.C.C.- El congreso se complementa con talleres teórico-prácticos que abordan temas como Odontopediatría adaptada y biomateriales, Endodoncia en pacientes sedados, Elevación de seno maxilar, Fresado implantológico y Tratamiento de inclusiones dentarias complejas.

 DM.- ¿Cuáles son sus expectativas para el Congreso SEOENE 2025?

Dra. L.C.C.- Mis expectativas para el congreso engloban varias metas, que conforman un conglomerado del programa presentado cuando asumí la Presidencia de la SEOENE. Inicialmente ofrecer una evidencia científica actualizada con información de vanguardia en odontología inclusiva comenzando con patologías orales en pacientes con necesidades especiales. A su vez, se pretende conseguir que los asistentes al XVII Congreso Nacional de la SEOENE adquieran conocimientos con aplicación clínica práctica en la clínica diaria a través de talleres, ponencias que incluyan casos concretos, protocolos, técnicas y herramientas que se puedan aplicar en la consulta con pacientes con necesidades especiales y que se conozcan nuevas tecnologías, apps, escáneres, IA, etc., especialmente orientados al diagnóstico, tratamiento o adaptación clínica para pacientes con necesidades especiales.

Además, los asistentes podrán conocer a compañeros dentistas, médicos especialistas, investigadores, terapeutas y resto de profesionales sanitarios vinculados con la salud integral del paciente con necesidades especiales, para compartir experiencias, promover colaboraciones profesionales o investigar conjuntamente, de tal manera que haya espacio para preguntas, debates y networking También queremos que se dé visibilidad a los pacientes con discapacidad, TEA, enfermedades crónicas, Alzheimer, etc., reconociendo sus particularidades, los obstáculos que enfrentan y cómo adaptar la odontología para que sea más accesible, inclusiva y respetuosa con sus circunstancias. Por otro lado, se pretende incorporar materiales formativos, guías, protocolos, libros (como el libro “Tratamiento Odontológico en Pacientes Frágiles y con Necesidades Especiales”), para que haya bibliografía accesible que pueda consultarse con posterioridad.

Buscamos ofrecer una formación especializada e interdisciplinar que conecte el ámbito médico, odontológico e interprofesional ”

En definitiva, el congreso desea renovar la motivación con respecto a la atención odontológica en pacientes con necesidades especiales, plantear nuevas ideas para proyectos, investigaciones o mejoras clínicas y, además, ayudar a sentir que uno forma parte de un movimiento hacia una odontología más inclusiva.

 DM.- Y, por último, ¿cuáles son los principales retos a los que se enfrentan los profesionales en el tratamiento odontológico de pacientes frágiles y con necesidades especiales?

Dra. L.C.C.- Los principales retos a los que se enfrentan los profesionales de la salud bucodental, especialmente aquellos que trabajan con pacientes con necesidades especiales, pueden clasificarse en varios ámbitos que comentaré a continuación:

Centro de ACPACYS Córdoba.

sociedad científica

 La formación oficial reglada con respecto a la formación odontológica en pacientes con necesidades especiales actualmente es insuficiente, ya sea por la existencia de asignaturas con créditos insuficientes para conseguir una formación de calidad, o directamente por la ausencia de asignaturas obligatorias en el grado y/o la presencia reducida de cursos de postgrado a nivel nacional que aborden la atención odontológica a personas con discapacidad, enfermedades raras o crónicas, medicamente comprometidos o frágiles. A su vez, existe una escasa preparación en manejo conductual, comunicación alternativa o sedación segura en la formación tanto pre como postgraduada. Siendo, ade-

Este congreso está dirigido a dentistas, médicos especialistas y profesionales sanitarios, especialmente aquellos implicados en la atención integral a pacientes con condiciones médicas complejas, crónicas, discapacidades o necesidades especiales ”

más, cada vez más necesaria la implementación en la formación continua en nuevas tecnologías (IA, escáneres, protocolos digitales) para pacientes con necesidades especiales.

 Destaca también la existencia de barreras en la atención clínica que dificultan la colaboración del paciente con alteraciones cognitivas, sensoriales o emocionales (ej. TEA, Alzheimer), así como la falta de recursos humanos capacitados para asistencia adaptada (auxiliares, higienistas con formación específica) con mención especial a infraestructuras inadecuadas (gabinetes no accesibles, equipos no adaptados y tiempos clínicos estándar).

 A nivel asistencial y administrativo, existen numerosas limitaciones estructurales y administrativas, apreciándose un número muy reducido de unidades especializadas de atención bucodental para pacientes con necesidades especiales en las comunidades autónomas, con listas de espera prolongadas para la atención hospitalaria bajo sedación o anestesia general y con numerosas dificultades en la facturación o cobertura de tratamientos para pacientes con necesidades especiales.

 En muchas ocasiones la falta de conexión entre odontólogos y médicos especialistas (neurología, geriatría, psiquiatría…), la falta de circuitos asistenciales bien definidos entre atención primaria, especializada y hospitalaria, hace evidente también una necesidad imperante de una mejor coordinación interdisciplinar.

 Si bien es de relevante importancia la complejidad clínica y diagnóstica de los pacientes con necesidades especiales que hace que prevalezca un mayor índice de patología bucal en estos pacientes como la caries, la enfermedad periodontal y las infecciones; la necesidad de tratamientos más personalizados y de mantener una visión global del paciente es imperante y en muchas ocasiones plantea retos éticos en la toma de decisiones en pacientes no colaboradores o sin autonomía legal. La prevención en estos pacientes se convierte en un pilar fundamental para una calidad de vida adecuada en la que no se comprometa la vida del paciente.

Para concluir me gustaría mencionar la reducida visibilidad e inclusión a nivel científico, ya sea por una baja representación de estos temas en congresos generales y publicaciones científicas, por lo que se necesita promover una cultura profesional basada en la odontología inclusiva, accesible y humanizada. 

Centro UPACE San Fernando, en Cádiz.

sociedad científica

“EL OBJETIVO PRINCIPAL

DEL CONGRESO SESPO 2025

ES CONSOLIDAR EL PAPEL

DE LA PREVENCIÓN COMO PIEDRA ANGULAR DE LA ODONTOLOGÍA MODERNA”

Dra. Mª del Rosario Garcillán Izquierdo, presidenta del XXX Congreso SESPO (17 y 18 de octubre de 2025, Madrid)

Bajo el lema “La prevención lidera la odontología”, el XXX Congreso Nacional de la Sociedad Española de Epidemiología y Salud Pública Oral (SESPO) –que se celebrará los días 17 y 18 de octubre en Madrid– abordará los retos actuales de la profesión odontológica desde una perspectiva integradora y multidisciplinar, posicionando la prevención como elemento central de la práctica odontológica moderna. En esta entrevista, la Dra. Mª del Rosario Garcillán Izquierdo, Profesor Titular de Odontología Preventiva y Comunitaria de la Facultad Odontología UCM y presidenta del XXX Congreso SESPO, nos detalla todas las claves del programa de este encuentro que pretende ser “un punto de inflexión en la manera de entender y practicar la odontología preventiva en España”.

 DM.- ¿Cómo se abordarán los retos a los que se enfrenta la profesión odontológica durante el XXX Congreso Nacional de la Sociedad Española de Epidemiología y Salud Pública Oral (SESPO)? Dra. Mª del Rosario Garcillán Izquierdo (Dra. M.R.G.I.).- Los retos actuales de la profesión odontológica serán abordados durante el XXX Congreso Nacional de SESPO desde una perspectiva integradora y multidisciplinar, dando importancia al papel de la prevención en la Odontología actual. Durante los dos días del Congreso analizaremos la necesidad de adaptar nuestros protocolos preventivos a las nuevas realidades sociales y sanitarias.

La sede de la Facultad de Odontología de la UCM será el escenario perfecto para estas discusiones. Su historia se remonta a Florestán Aguilar, médico dentista de la Casa Real, cuya cercanía a Alfonso XIII le permitió adquirir un especial protagonismo en la creación de la Ciudad Universitaria e impulsar los estudios odontológicos. Durante la Guerra Civil el edificio fue parcialmente destruido y aún refleja numerosas secuelas en sus muros de ladrillo y zócalos de granito. Finalmente, la Facultad fue

inaugurada en 1945 y el edificio se sitúa en la gran plaza del Campus de Ciencias de la Salud. Este emblemático espacio, testigo de muchas generaciones de estomatólogos y en la actualidad odontólogos, tiene una apasionante historia. Aunque lo más atrayente de todo es la excelencia -con la 1ª posición en España en el Ranking QS- que se imparte en sus aulas y clínicas, motivo por el que desarrollaremos aquí nuestra próxima reunión anual. El Comité Organizador y Científico ha preparado un Congreso en este incomparable marco en el que ponentes de reconocido prestigio analizarán y debatirán sobre los retos a los que se enfrenta nuestra profesión.

 DM.- ¿Cuál es el objetivo principal de este encuentro?

Dra. M.R.G.I.- Este Congreso tiene como finalidad reunir a profesionales odontólogos, docentes, estudiantes y expertos del conocimiento científico odontológico en el campo de la prevención, con el fin de fomentar la investigación y dar a conocer los últimos avances en la Odontología Preventiva y Comunitaria, así como para la unificación de criterios en la docencia buscando la excelencia en nuestros profesionales. El objetivo principal de este encuentro es consolidar el papel de la prevención como piedra angular de la odontología moderna. Queremos demostrar que una odontología basada en la prevención no solo mejora la salud oral de la población, sino que también resulta más sostenible y eficiente. En el actual contexto sanitario, es fundamental reorientar nuestra profesión hacia un modelo más preventivo y menos intervencionista.

La prevención se debe posicionar como elemento central de la práctica odontológica moderna, proporcionando a los profesionales las herramientas y conocimientos necesarios para implementar estrategias preventivas efectivas en su práctica diaria. Buscamos crear un espacio de intercambio de conocimientos y experiencias que permita avanzar hacia una odontología más preventiva y menos invasiva.

 DM.- “La prevención lidera la odontología” es el lema del Congreso SESPO 2025. ¿Cómo se reflejará este lema a lo largo del programa?

Dra. M.R.G.I.- Nuestro lema “La prevención lidera la odontología” se materializará a través de un programa científico que incluye conferencias magistrales, mesas redondas y talleres prácticos. Cada sesión ha sido diseñada para demostrar cómo la prevención debe ser el primer enfoque en todas las áreas de la

Los retos actuales de la profesión odontológica serán abordados durante el XXX

Congreso Nacional de SESPO desde una perspectiva integradora y multidisciplinar, dando importancia al papel de la

prevención en la Odontología actual ”

odontología. Desde las nuevas tecnologías preventivas y especialidades más avanzadas hasta los programas preventivos individuales y comunitarios de salud oral, cada actividad reforzará este mensaje central. La prevención aporta soluciones para combatir el microbioma causante de patología, valora el papel de la saliva como mantenedor de las funciones de protección de las estructuras bucales, establece protocolos de hábitos higiénicos imprescindibles en salud oral, intenta recuperar la composición de las estructuras dentales, todo en base a la evidencia disponible de protocolos establecidos teniendo en cuenta factores predictivos y de riesgo oral. Por ello, concluimos que en todo tratamiento odontológico de calidad debe existir siempre un protocolo de Odontología Preventiva.

 DM.- Como especialista en Odontología Preventiva y Comunitaria, ¿cuáles son los principales desafíos a los que se enfrenta la profesión en este campo en concreto?

Dra. M.R.G.I.- Como especialista en Odontología Preventiva y Comunitaria percibo que los principales desafíos actuales se centran en la necesidad de adaptar nuestras estrategias preventivas a una odontología en constante cambio. Los pacientes demandan estrategias que impidan desarrollar la enfermedad y controlarla en sus primeras fases. La creciente prevalencia de enfermedades crónicas, el envejecimiento poblacional y las desigualdades en salud oral requieren un enfoque preventivo renovado y basado en la evidencia científica más actual. La odontología se dirige en este momento hacia dos grandes bloques. El primer bloque se basa en el diagnóstico preventivo de los factores que han hecho enfermar a la población, perdiendo su salud bucodental. Disponemos de técnicas y protocolos para combatirlos. Se incluye en esta fase también la realización de tratamientos de mínima intervención en los casos de lesiones iniciales. Y el segundo

sociedad científica

bloque es la alta tecnología que nos permite sustituir la anatomía de forma funcional y estética a un alto nivel, pero con una apuesta por la salud de la cavidad bucal para tener el éxito asegurado. Debemos dirigir, por tanto, nuestros tratamientos a un enfoque más preventivo; implementando programas preventivos en los diferentes grupos sociales y edades, responsabilizando también al paciente de su salud oral y mantenimiento. Además, contamos con las nuevas tecnologías en la prevención y con la evidencia científica actualizada en nuestros protocolos.

 DM.- ¿Cuáles serán las principales temáticas que se tratarán durante el Congreso y desde qué perspectiva se abordará cada una de ellas?

Dra. M.R.G.I.- Las temáticas del Congreso se han seleccionado cuidadosamente para reflejar las necesidades actuales de la profesión. Cada tema será tratado desde una perspectiva práctica y basada en la evidencia.

Trataremos de actualizar temas muy interesantes distribuidos en bloques, empezando por el papel del microbioma oral y su relación con las enfermedades sistémicas, entre otras las enfermedades que cursan con deterioro cognitivo, así como el papel de la saliva en la cavidad bucal. Iremos más allá hablando de epigenética y si es posible predecir la patología oral. Abordaremos las nuevas prestaciones del odontólogo en Atención Primaria y su papel en la gestión de las Unidades de Salud Bucodental. Se contemplará la posibilidad de realizar labor en centros hospitalarios y desarrollar una especialidad de Odontología Familiar y Comunitaria. Hablaremos también de cómo los alineadores impactan en nuestra salud bucal y los riesgos/beneficios que se presentan. Unificaremos el currículo de Cariología y se terminará debatiendo sobre cómo ha irrumpido la IA en nuestra profesión y qué ventajas nos proporciona para un diagnóstico correcto en las primeras fases de la enfermedad.

 DM.- ¿Cuáles serán algunas de las investigaciones más destacadas que se presentarán en el Congreso SESPO 2025?

Dra. M.R.G.I.- En cuanto a las investigaciones que se presentarán, esperamos recibir trabajos innovadores sobre nuevas tecnologías preventivas, estudios epidemiológicos actualizados y evaluaciones de programas preventivos comunitarios. En este sentido, anticipamos una participación significativa de grupos de investigación nacionales e internacionales.

 DM.- ¿Qué papel tendrán los talleres interactivos que se celebrarán durante el Congreso y cómo ayudarán a los profesionales en su práctica clínica?

Dra. M.R.G.I.- Los talleres interactivos jugarán un papel fundamental en el Congreso. Hemos diseñado sesiones prácticas sobre el uso de nuevas tecnologías en prevención, técnicas de motivación del paciente y protocolos preventivos actualizados. Estos talleres proporcionarán herramientas inmediatamente aplicables en la práctica clínica diaria.

 DM.- ¿A qué perfil de profesionales está dirigido el XXX Congreso de SESPO?

Dra. M.R.G.I.- El XXX Congreso de SESPO está dirigido a un amplio espectro de profesionales de la salud oral: odontólogos generalistas y especialistas, profesionales de Atención Primaria, investigadores del área de la salud oral, estudiantes de pre y postgrado e higienistas dentales. Todos ellos encontrarán contenidos relevantes para su práctica profesional. La interdisciplinariedad es clave para una prevención efectiva.

 DM.- ¿Cuáles son las expectativas para el Congreso SESPO 2025 y qué impacto esperan que tenga el encuentro para la comunidad odontológica?

Dra. M.R.G.I.- Nuestras expectativas para el Congreso SESPO 2025 son muy positivas. Esperamos que este encuentro marque un antes y un después en la manera de entender la prevención en Odontología. El impacto que buscamos va más allá del evento en sí; queremos generar un cambio duradero en la práctica clínica y en las políticas de salud pública oral, siempre con la prevención como eje central. Esperamos la actualización en conocimientos en Prevención y la formación continuada de los profesionales despertando el interés por nuevas áreas de investigación. Para ello también hemos invitado a diferentes universidades de Odontología de donde parte el conocimiento a los futuros odontólogos. Necesitamos sembrar en las nuevas generaciones la importancia del diagnóstico en prevención y el enfoque más conservador de nuestros tratamientos, siempre integrado con el resto de disciplinas. En definitiva, esperamos que este Congreso sea un punto de inflexión en la manera de entender y practicar la odontología preventiva en España. Para finalizar pensamos, como valor añadido al Congreso, que la relación entre profesionales de toda España facilita el acercamiento personal, disfrutando estos días de una maravillosa estancia en Madrid. 

DESTACADA PARTICIPACIÓN DE LA DELEGACIÓN ESPAÑOLA

EN EL CONGRESO DENTAL MUNDIAL DE LA FDI

Miles de profesionales de la Odontología se han reunido en el Congreso Dental Mundial 2025 de la Federación Dental Internacional (FDI), que se ha celebrado del 9 al 12 de septiembre en el National Exhibition and Convention Center, en Shanghái, para abordar los principales retos y avances de la salud bucodental. Como cada año, el encuentro ha tenido un gran alcance en el sector odontológico, con una exposición de aproximadamente 60.000 m² y más 700 expositores. Asimismo, ha contado con un amplio programa científico, con más de 100 sesiones acreditadas sobre diversos temas, como endodoncia, implantología, ortodoncia, periodoncia, odontología digital, etc. En este sentido, los últimos avances tecnológicos han sido uno de los puntos en común en todas ellas (diagnósticos asistidos por inteligencia artificial, robótica dental -incluyendo robots para implantes-, navegación en endodoncia…). La delegación española, liderada por el Dr. Óscar Castro Reino, presidente del Consejo General de Dentistas, ha participado activamente en el congreso. De hecho, en la Asamblea General, donde se aprobaron declaraciones y principios de la FDI, se hizo una especial referencia a la publicidad sanitaria y a la especialización en Odontología, ambas a petición de la delegación española. Asimismo, se aprobaron los presupuestos de la FDI para 2026 y se eligieron las vacantes a los comités de trabajo. Por último, se debatieron importantes cuestiones sobre el futuro de la salud oral, como la necesidad de garantizar el acceso de los adultos mayores de 60 años a los cuidados bucodentales. A lo largo de estos días, el Dr. Castro ha mantenido conversaciones con algunas de las personalidades más relevantes de la Odontología a nivel mundial, como el presidente saliente de la FDI, el Dr. Greg Chadwick (EEUU), y el presidente entrante, el Dr. Nikolai Sharkov (Bulgaria), que en dos años será relevado por el Dr. Young Guk Park (República de Corea), nuevo presidente electo.

LA FDI APRUEBA DOS DECLARACIONES OFICIALES SOBRE PUBLICIDAD SANITARIA Y ESPECIALIZACIÓN EN ODONTOLOGÍA

La Asamblea General de la Federación Dental Internacional (FDI), celebrada este mes de septiembre en el marco del Congreso Mundial de Shanghái, ha aprobado ocho nuevas declaraciones de política fundamentales para el futuro de la Odontología mundial. Entre ellas, destacan especialmente dos documentos que recogen de forma directa las demandas presentadas por el Consejo General de Dentistas de España en los últimos años: las declaraciones sobre especialización en Odontología y publicidad sanitaria.

Estas dos declaraciones constituyen un hito significativo, ya que suponen un respaldo oficial de la FDI a cuestiones que tienen una especial relevancia para el contexto odontológico español.

La declaración sobre especialización en odontología reafirma la necesidad de establecer criterios claros para el reconocimiento y regulación de las especialidades, señalando que esta medida contribuye a garantizar la seguridad del paciente, fomentar la formación avanzada y favorecer una atención más equitativa y basada en evidencias científicas. Entre sus principios, la FDI establece que: la especialización debe requerir formación clínica y académica adicional; la colaboración entre dentistas generales y especialistas es clave para una atención integral; y las especialidades deben definirse en base a competencias específicas, sin menoscabar el papel del odontólogo general.

Por su parte, la declaración sobre publicidad en Odontología subraya la importancia de regular esta actividad en base a principios como la veracidad, el beneficio y la autonomía del paciente y la integridad profesional. La FDI advierte del riesgo de que la publicidad no regulada pueda inducir a error o crear expectativas poco realistas, especialmente en un contexto de desinformación creciente a través de medios digitales y redes sociales.

La delegación española también ha asistido a la reunión de la European Regional Organization (ERO) de la Federación Dental Internacional, que se celebra en el marco del congreso. Los Dres. Óscar Castro y Edoardo Cavallé, presidente de la ERO, conversaron sobre los retos que afronta la Odontología en Europa: el envejecimiento de la población, la relación con las universidades, el avance de la digitalización y el binomio salud oral - salud general, entre otras cuestiones.

La Dra. Agurtzane Meruelo, secretaria general del Consejo de Dentistas, ha participado en el foro mundial de mujeres dentistas de la FDI, un grupo dedicado a promover el papel de la mujer en la Odontología a nivel mundial. Sus principales actividades incluyen la coordinación de grupos mujeres odontólogas de todos los países, la recopilación de datos sobre las dentistas y sus patrones de trabajo, la lucha contra la desigualdad laboral, el fomento de las conexiones internacionales y la promoción de la plena participación de las mujeres en todos los ámbitos de la profesión odontológica. 

En la imagen, la delegación española, liderada por el Dr. Óscar Castro Reino, presidente del Consejo General de Dentistas, que ha participado durante el Congreso Dental Mundial de la FDI 2025.
Consejo General de Dentistas de España

UNA ENCUESTA DE LA FDI REVELA QUE LA PRÁCTICA ODONTOLÓGICA

ILEGAL REPRESENTA UN RIESGO PARA LA SALUD MUNDIAL

Lapráctica odontológica ilegal representa un riesgo creciente para la salud mundial, ya que los profesionales sin licencia ponen en peligro a los pacientes y perjudican la odontología. Una encuesta de la FDI revela una aplicación deficiente de la ley y la urgente necesidad de leyes más estrictas, concienciación pública y colaboración global.

La práctica odontológica ilegal es un problema acuciante de salud pública mundial que plantea graves riesgos para la seguridad del paciente y socava la integridad de la profesión odontológica. La FDI ha reconocido este problema y ha adoptado la declaración de política “Acción contra la Práctica Dental Ilegal” , que este informe complementa para abordar.

Una amenaza generalizada para la seguridad del paciente

La práctica odontológica ilegal, definida como la prestación de atención dental sin el registro o la licencia necesarios emitidos por la autoridad competente, es una preocupación mundial creciente. Desde personas no cualificadas que ofrecen extracciones a domicilio hasta esteticistas que colocan aparatos dentales en salones, estas prácticas exponen a los pacientes a un grave riesgo de infecciones, desfiguración permanente e incluso complicaciones potencialmente mortales.

Lo que revela la encuesta

Datos de encuestas realizadas a 49 asociaciones dentales nacionales (NDA) de la IED a nivel mundial revelaron marcadas disparidades en la forma en que los países definen, regulan y aplican las leyes contra la odontología ilegal. Si bien el 95% de los encuestados confirmó la existencia de regulaciones, solo el 49% cree que son eficaces, y casi

la mitad mencionó la aplicación deficiente, la falta de recursos o la tolerancia cultural como obstáculos importantes.

¿Por qué persiste la práctica ilegal?

El informe destaca que la práctica odontológica ilegal suele prosperar en regiones donde el acceso a atención odontológica asequible y cualificada es limitado. Las normas culturales, las dificultades económicas y la tentación de precios más bajos impulsan aún más la demanda. Resulta alarmante que el 58% de las NDA denunciaran casos de daños a pacientes causados por proveedores sin licencia, lo que subraya la urgente necesidad de contar con medidas de protección más sólidas.

Soluciones en el horizonte

Las recomendaciones de la FDI exigen leyes más estrictas, sanciones más severas y una recopilación de datos rigurosa para medir la prevalencia. Igualmente importantes son las campañas de concienciación pública para educar a los pacientes sobre cómo verificar las credenciales de un dentista, así como la colaboración internacional para compartir las mejores prácticas y desarrollar marcos regulatorios más adaptables.

Una llamada a la acción

La práctica odontológica ilegal socava la confianza en la odontología y pone en peligro vidas. Los profesionales de la odontología, los organismos reguladores y los legisladores deben colaborar para fortalecer las protecciones, empoderar a las comunidades con conocimiento y garantizar el acceso equitativo a una atención segura y de calidad. 

LA AEMPS SE SUMA A LA PRIMERA CAMPAÑA EUROPEA

SOBRE USO RESPONSABLE DE MEDICAMENTOS

La campaña “Los medicamentos no son caramelos” es la primera iniciativa conjunta de la Red Europea de Jefes de Agencias de Medicamentos (HMA, por sus siglas en inglés), con el objetivo de sensibilizar a los ciudadanos europeos sobre la importancia del uso adecuado de los medicamentos sin receta (OTC, por sus siglas en inglés), como analgésicos, aerosoles nasales, antiácidos o jarabes para la tos.

Dado que el uso de medicamentos sin receta traspasa fronteras, más de 30 países europeos han unido sus fuerzas en esta campaña para redes sociales. En ella se subrayan los pasos esenciales para un uso más seguro de estos medicamentos: leer el prospecto, respetar la duración máxima de uso recomendada y consultar a un médico si los síntomas persisten. Los medicamentos sin receta se pueden comprar sin receta médica

SIN RECETA

en farmacias, están destinados a tratar dolencias leves, como el dolor, la fiebre o el resfriado. Sin embargo, ningún medicamento está exento de riesgos. Un uso incorrecto puede provocar efectos adversos o incluso adicción. Por eso es importante, al igual que con cualquier medicamento, leer atentamente el prospecto y seguir las instrucciones.

La AEMPS ha tenido un papel crucial en el desarrollo de la campaña. La Agencia formó parte del grupo de trabajo integrado por cinco países y liderado por Países bajos que se ocupó del desarrollo de la campaña, siendo una de las ocho agencias que participó en su financiación y coordinando a la red de agencias para el lanzamiento. Esta campaña es un ejemplo del éxito en la coordinación europea en el ámbito de la regulación sobre el uso de medicamentos de uso humano. 

ESTUDIOS CONCLUYEN QUE EL ABUSO DE LAS PANTALLAS PUEDE AFECTAR A LA SALUD BUCODENTAL

Lapoblación infantil y juvenil está cada vez más expuesta a pantallas de móvil, ordenador y otros dispositivos, en su día a día. El Colegio de Dentistas de Santa Cruz de Tenerife informa de que diferentes estudios en los últimos años han apuntado a que el abuso de estas pantallas puede afectar a la salud bucodental, ya que quienes usan estos dispositivos durante un tiempo igual o superior a dos horas, pueden tener mayor tendencia a una baja higiene dental diaria, al sedentarismo y a abusar de alimentos precocinados y con azúcares añadidos.

En 2020, un estudio en el que participaron varias universidades en Brasil, abordó la influencia en concreto de la televisión en los hábitos de alimentos de los niños y su asociación a la caries. Además, en 2023, en la India, se analizó el comportamiento de 497 escolares, de entre 8 y 14 años. El estudio, publicado en Journal of Clinical Pediatric, concluyó que la población infantil que estaba ante las pantallas durante dos horas o más al día, tenía una mayor inclinación a cepillarse los dientes con menos frecuencia, mientras que se incrementaba su tendencia a consumir alimentos de comida rápida. En otras investigaciones se ha encontrado una asociación significativa entre el número de cepillados de dientes al día y el tiempo de uso pasado delante del ordenador, la televisión o las videoconsolas. Este abuso de los dispositivos hasta altas horas del día fomenta que se posponga el tan importante cepillado nocturno, ya que es mientras dormimos es cuando menos saliva se genera y la boca puede

limpiarse de forma natural menos eficientemente. La población infantil y juvenil es el colectivo más vulnerable a estos patrones.

Efectos negativos del abuso de las pantallas

Entre los perjuicios del abuso de las pantallas se encuentra la adquisición de malos hábitos en la alimentación, ya que niños y jóvenes comen de forma distraída. Además, diferentes estudios han demostrado que comer frente a una pantalla favorece el picoteo y la ingesta inconsciente de alimentos, en especial de productos azucarados o ultraprocesados. Esto aumenta el tiempo de exposición de los dientes a los azúcares, con lo que se incrementa el riesgo de desarrollar caries. Por otra parte, el sedentarismo que provoca pasar muchas horas frente a las pantallas se asocia con la obesidad infantil y el síndrome metabólico en adultos. Obesidad y resistencia a la insulina poseen una relación directa con las enfermedades de encías graves, como la periodontitis, ya que favorecen la inflamación crónica. Otro de los efectos perjudiciales del uso excesivo de pantallas, sobre todo en contextos estresantes como pueden ser el trabajo o los videojuegos, fomenta que la persona apriete los dientes sin darse cuenta, con el peligro de que se generen trastornos temporomandibulares por bruxismo.

De esta forma, el prejuicio en la salud oral se suma a otros efectos negativos del abuso de pantallas, advertidos por otros profesionales como oftalmólogos, psicólogos y educadores. 

Pexels

Gracias a tu confianza, por quinto año consecutivo, este mes de octubre donamos 10.000€ para la investigación contra el cáncer de mama. Seguimos cofinanciando el proyecto de la Dra. Fara Brasó junto a la Asociación Española Contra el Cáncer (AECC), para la identificación de nuevos puntos débiles para superar la resistencia en cáncer de mama metastásico.

UN INNOVADOR MÉTODO EXPERIMENTAL

ELIMINA HASTA EL 99% DE LAS

BACTERIAS

QUE PROVOCAN LA PERIIMPLANTITIS

Investigadores de la Universidad Complutense de Madrid y del Instituto IMDEA Energía demuestran que la combinación de corrientes eléctricas de baja intensidad con clorhexidina es altamente eficaz contra los biofilms bacterianos en implantes dentales.

La periimplantitis es una enfermedad inflamatoria que aparece alrededor de los implantes dentales y provoca la pérdida progresiva del hueso que los sostiene. En la práctica, esta complicación puede llevar al fracaso de un tratamiento que muchos pacientes consideran definitivo. Se calcula que entre un 15% y un 20% de las personas portadoras de implantes desarrollan periimplantitis, lo que la convierte en uno de los grandes desafíos de la odontología moderna. La causa principal de esta enfermedad son las bacterias que colonizan la superficie del implante formando biofilms: una capa protectora muy resistente que dificulta su eliminación mediante tratamientos convencionales, como el raspado mecánico o el uso de antisépticos. Esta resistencia explica la dificultad actual para controlar la enfermedad y evitar su progresión.

Un equipo de investigadores del grupo Etiología y Terapéutica de las Enfermedades Periodontales y Periimplantarias de la Universidad

Complutense de Madrid junto con el grupo de investigación de la Unidad de Procesos Electroquímicos del Instituto

IMDEA Energía ha desarrollado una nueva estrategia que combina corrientes eléctricas de muy baja intensidad con clorhexidina, el antiséptico más utilizado en odontología. Los resultados, publicados en la revista Clinical Oral Implants Research son prometedores: el método logra eliminar más del 95% de los biofilms bacterianos y reducir la vitalidad de las bacterias en un 99% en superficies de implantes de titanio. La técnica no solo multiplica la eficacia del tratamiento tradicional, sino que además funciona incluso en zonas de difícil acceso del implante. Otro dato clave: las corrientes de muy baja intensidad alcanzan la misma eficacia que las de alto voltaje, cuando tras este tratamiento eléctrico se aplica clorhexidina durante un minuto, pero con un consumo energético hasta un 99,9% menor, lo que además reduce el riesgo de dañar los tejidos blandos.

Aunque se trata de una prueba de concepto in vitro, los autores destacan la relevancia del hallazgo y la necesidad de avanzar hacia ensayos clínicos en pacientes. Si se confirma su eficacia y seguridad, este protocolo podría convertirse en una herramienta revolucionaria para abordar una de las enfermedades más complejas y frustrantes de la implantología moderna. 

Referencia

Odeh, V., L. Virto, E. Garcia-Quismondo, D. Herrera, J. Palma, and M. Sanz. 2025. “Antibacterial Effect of Combined Electrolytic and Chemical Decontamination Methods on Dental Implant Surfaces: In Vitro Study.”  Clinical Oral Implants Research 1–11. https://doi.org/10.1111/clr.70012

FORMNEXT 2025 PRESENTA LO ÚLTIMO EN FABRICACIÓN ADITIVA PARA EL SECTOR DENTAL

La fabricación aditiva (AM) está plenamente consolidada en el ámbito dental: desde coronas y puentes hasta férulas quirúrgicas y alineadores. Sin embargo, esta tecnología sigue evolucionando a gran velocidad. Nuevos materiales, procesos más eficientes y sistemas cada vez más accesibles están ampliando significativamente las posibilidades de aplicación, incluso para clínicas dentales, ortodoncistas y laboratorios dentales.

Del 18 al 21 de noviembre, Frankfurt se convertirá nuevamente en el epicentro internacional de la fabricación aditiva. Formnext 2025 reunirá a los principales expertos y empresas del sector AM a nivel mundial. Para los profesionales de la tecnología dental, esta feria representa una oportunidad única para experimentar de primera mano innovaciones, aplicaciones prácticas y estrenos mundiales: desde nuevos materiales y flujos de trabajo digitales hasta soluciones AM diseñadas específicamente para clínicas y laboratorios dentales. El programa complementario, dirigido por expertos, ofrece una visión profunda de las tecnologías actuales, las tendencias emergentes y casos prácticos reales. En tres escenarios, especialistas debatirán sobre temas transversales como la sostenibilidad y nuevos modelos de negocio, presentarán aplicaciones en distintos sectores industriales y mostrarán innovaciones técnicas. Las exposiciones especiales y con-

Del 18

al 21 de noviembre, Frankfurt se convertirá nuevamente en el epicentro internacional de la fabricación aditiva con la celebración de Formnext 2025

ferencias demostrarán cómo la fabricación aditiva está transformando la producción y cómo las empresas pueden beneficiarse de ello. Este año, España será el país invitado, aportando nuevas perspectivas e innovaciones emocionantes desde una industria AM en pleno crecimiento.

Los asistentes tendrán la oportunidad de conectar con expertos líderes, descubrir nuevas ideas y ampliar sus conocimientos. Tanto si son nuevos en el sector como si se trata de profesionales experimentados, Formnext tiene algo que ofrecerle.

Los interesados ya pueden adquirir sus entradas en la tienda online y beneficiarse del descuento por compra anticipada hasta el 21 de octubre. Más información y entradas en www.formnext.com/visitors 

© Mesago/Mathias Kutt

DENTAID Y UIC BARCELONA CREAN EL AULA DE SALUD BUCAL UIC

BARCELONA-DENTAID

La Universitat Internacional de Catalunya (UIC Barcelona) y Dentaid, compañía especializada en la investigación, el desarrollo y la comercialización de productos destinados a la salud bucal, han firmado un acuerdo de colaboración para crear la nueva Aula de Salud Bucal UIC Barcelona-Dentaid, vinculada a la Facultad de Odontología de la Universidad.

Esta nueva aula de empresa está dirigida por el Dr. Lluís Giner y la Dra. Cristina Vallès, y coordinada por los Dres. Víctor Gil y Neus Carrió, todos ellos docentes e investigadores de la Facultad de Odontología. Por parte de Dentaid, participarán la Dra. Vanessa Blanc y el Dr. Joan Gispert, en representación del Dentaid Research Center, centro de referencia en investigación en salud bucal.

Esta colaboración supondrá para las dos entidades un impulso a la investigación, a la docencia y a la divulgación científica, permitiendo responder con mayor eficacia a las necesidades de la sociedad en materia de salud odontológica. El compromiso de Dentaid con iniciativas de colaboración entre la industria y la academia es una herramienta consolidada para la compañía, ya que permite avanzar en la creación de soluciones para la salud bucal de las personas.

En el marco del Aula, se desarrollarán proyectos de investigación y estudios clínicos vinculados al Máster de Periodoncia y al área de Gerodontología. Además, este acuerdo de colaboración permitirá promover la intercomunicación entre ambas instituciones en labores académicas y de proyección científica y social.

“La puesta en marcha de iniciativas como ésta refleja el compromiso de Dentaid con la promoción del conocimiento científico y la mejora de la salud de la población. A través de alianzas estratégicas y colaboración activa con la Universidad y la Academia se busca profundizar

en el estudio de los procesos biológicos que, en ciertos casos, hacen que el envejecimiento natural de la boca desemboque en la aparición de patologías. Este trabajo conjunto permitirá el desarrollo de soluciones innovadoras para cuidar, prevenir y tratar de manera eficaz dichas afecciones, contribuyendo así al bienestar de las personas y al avance de la medicina personalizada en el ámbito de la salud bucodental”, afirma el Dr. Gispert, responsable de I+D+i en el Dentaid Research Center. Por su parte, el Dr. Giner, decano de la Facultad de Odontología de UIC Barcelona, señala que “como profesionales de la odontología tenemos el compromiso de atender a toda la población, prevenir y reducir las enfermedades bucodentales, y tratar a la persona de manera integral. La colaboración con empresas de referencia en el sector con las que compartimos valores, como Dentaid, nos permite coordinar esfuerzos para investigar y transferir a la sociedad soluciones accesibles y personalizadas que garanticen la mejor atención dental posible a toda la población”.

El Dr. Manel Vera, CEO de Dentaid, destaca que “el esfuerzo y compromiso de ambas instituciones y el trabajo en equipo han permitido crear este Aula con la voluntad de investigar, innovar y desarrollar nuevas soluciones que contribuyan al avance de la ciencia y de la salud bucal”.

Con la creación de esta nueva aula de empresa, la Facultad de Odontología de UIC Barcelona cuenta ya con tres aulas y siete cátedras que permiten transferir a la sociedad el conocimiento generado por la Universidad en colaboración con empresas de referencia en el sector odontológico.

La vertiente social de esta colaboración va alineada con el compromiso social de la Facultad, uno de sus pilares diferenciales, que queda plasmado en iniciativas como el programa Caring for Smiles, Changing Lives, cuyo objetivo principal es ofrecer atención bucodental, con énfasis especial en la prevención y mantenimiento de la salud, a los colectivos más vulnerables al mismo tiempo que contribuye a formar a los futuros odontólogos desde una vertiente integral y humanista. Para ello, la Facultad de Odontología cuenta con la Clínica Universitaria de Odontología y participa en proyectos solidarios en colaboración con entidades, entre las que se encuentran ayuntamientos, centros de asistencia primaria, fundaciones y otras organizaciones públicas y privadas. 

DentaidUIC
Foto de familia Aula de Salud Bucal UIC Barcelona-Dentaid.

CLÍNICA DENTAL DR. ARMAND BLANCO DA UN PASO MÁS EN SU CAMINO HACIA

LA EXCELENCIA GRACIAS A DENTALQUALITY

En la Clínica Dental Dr. Armand Blanco siempre han entendido que la odontología va más allá de los tratamientos. Cuidar al paciente significa también escuchar, empatizar y acompañar en cada paso. Esa ha sido siempre su vocación y, gracias a la certificación DentalQuality®, han encontrado un camino para seguir reforzándolo con rigor y método.

Recientemente han recibido la primera formación DQX (DentalQuality eXperience), un sistema que impulsa la mejora continua en clínicas certificadas. “Durante las sesiones, nuestro equipo trabajó en profundidad cómo mejorar la comunicación clínica, cómo cuidar las emociones del paciente y cómo alinear protocolos internos para que la experiencia sea más clara, humana y coherente en cada uno de los puntos del recorrido del paciente”, explican desde la Clínica Dental Dr. Armand Blanco.

“Lo más valioso ha sido mirarnos como equipo y reconocer que siempre hay margen para crecer. Ahora contamos con herramientas prácticas para trasladar a nuestro día a día algo que ya formaba parte de nuestra filosofía: que cada paciente se sienta escuchado, informado y acompañado con confianza”, apunta el Dr. Armand Blanco, director médico de la clínica.

Para ellos, “DQX no ha consistido solo en formación: ha sido un ejercicio de reflexión y de compromiso por parte de todo el equipo. Porque la excelencia no se improvisa. Se construye, se entrena y se vive en cada detalle. Y estamos orgullosos de formar parte de una comunidad de clínicas que comparte esta misma manera de entender la odontología”, concluyen desde la Clínica Dental Dr. Armand Blanco. 

Prettau® de Zirkonzahn, una línea completa de materiales compuesta por seis tipos de zirconia

Sin la zirconia no habría Zirkonzahn. Lo que comenzó hace 15 años con Prettau®, la primera zirconia de Zirkonzahn, ha crecido a lo largo de los años hasta convertirse en una línea completa de materiales compuesta por seis tipos diferentes de zirconia:

• Con un amplísimo espectro de indicaciones, que van desde las coronas parciales hasta las arcadas completas, Prettau® es la zirconia ideal para resolver problemas comunes como pueden ser la falta de espacios, el bruxismo o el chipping de la cerámica, ofreciendo al paciente una solución funcional, duradera y estética.

• Prettau® 2 y Prettau® 2 Dispersive® son tipos de zirconia caracterizados no sólo por una elevada translucidez, sino también por una excepcional resistencia a la flexión. Las excelentes propiedades estéticas de estos dos materiales permiten realizar restauraciones monolíticas, evitando así el riesgo de astillado de la cerámica. Con Prettau® 2 y Prettau® 2 Dispersive® es posible, por tanto, proporcionar a los pacientes restauraciones dentales biocompatibles, resistentes y de elevada estabilidad, desde coronas individuales hasta arcadas completas. A diferencia de Prettau® 2, la variante Dispersive® ya está provista de un ligero gradiente de color natural durante su fabricación.

• Con el desarrollo del último Prettau® 3 Dispersive®, se creó el concepto de la Gradual-Triplex-Technology, lo que implica que además del color, el gradiente también abarca la translucidez y la resistencia a la flexión de esta manera: mientras la translucidez se atenúa hacia el cuello del diente,

es extremadamente alta en el borde incisal. Por otro lado, la resistencia a la flexión disminuye hacia el borde incisal y es extremadamente alta en el área cervical. La Prettau® 3 Dispersive® es especialmente adecuada para restauraciones completas de zirconia y puede utilizarse para la elaboración de restauraciones dentales que van desde coronas individuales hasta puentes de varias unidades soportados por barras.

• Los tipos de zirconia Prettau® 4 Anterior® y Prettau® 4 Anterior® Dispersive® se han desarrollado especialmente para su uso en la región anterior y se caracterizan por una translucidez aún mayor. Sin embargo, ambos materiales también son perfectamente adecuados para su uso en la región posterior. La versión Dispersive® presenta un gradiente de color natural distribuido uniformemente por todo el material, con un efecto de “dispersión”. Estos dos tipos de zirconia son adecuados para la elaboración de coronas individuales, inlays, onlays, carillas y puentes de tres unidades. Para obtener un resultado final que refleje el color de los dientes naturales del paciente, se han desarrollado las guías de colores Zirkonzahn Shade Guides con zirconia monolítica. Están formadas por dientes de muestra en forma de premolar, incisivo superior e inferior, disponibles en zirconia Prettau® 2 Dispersive®, Prettau® 3 Dispersive® y Prettau® 4 Anterior® Dispersive®.

Zirkonzahn www.zirkonzahn.com

Dentsply Sirona lanzará un flujo de trabajo CEREC ampliado con tecnología de IA y una nueva solución de fresado

Dentsply Sirona anuncia el próximo lanzamiento de un flujo de trabajo CEREC ampliado con tecnología de inteligencia artificial y una nueva fresadora, CEREC Primemill Lite, con el objetivo de hacer más accesible la odontología en una sola visita.

Ahora, con la última ampliación de CEREC, se simplifican aún más los flujos de trabajo al integrar las funcionalidades mejoradas directamente en la plataforma DS Core, lo que permite acceder a ellas desde prácticamente cualquier lugar. En esta fase inicial, los dentistas pueden recibir propuestas de diseño y márgenes para coronas, incrustaciones y recubrimientos impulsadas por IA directamente en DS Core, guiados por un asistente de flujo de trabajo. Las futuras versiones ampliarán la gama de indicaciones disponibles, reforzando el compromiso de Dentsply Sirona de optimizar los procesos clínicos mediante soluciones digitales inteligentes. Esta integración introduce un nuevo nivel de apertura en el ecosistema CEREC. Al permitir la exportación de diseños CEREC en formato STL y ser compatible con determinados escáneres de terceros, ofrece a los profesionales dentales una mayor flexibilidad en su trabajo, mejorando la colaboración y la interoperabilidad, al tiempo que mantiene la experiencia optimizada por la que es conocido el sistema CEREC. Esta integración también permite a los equipos delegar tareas de fresado, gestionar la fabricación de forma remota y mantener un acceso centralizado a los archivos de trabajo en varias salas o dispositivos, lo que agiliza los flujos de trabajo de gran volumen. Las futuras actualizaciones de firmware se entregarán de forma fluida a través de DS Core, lo que eliminará los esfuerzos de actualización manual y garantizará que los sistemas se mantengan actualizados.

CEREC Primemill Lite, nueva solución de fresado

Mientras que CEREC Primemill sigue siendo el sistema de gama alta y alto rendimiento, CEREC Primemill Lite tiene como objetivo ofrecer a los profesionales dentales más opciones para sumarse a la transición digital en sus propios términos.

CEREC Primemill Lite ofrece una amplia gama de indicaciones y clases de materiales, incluyendo puentes, carillas y trabajos con implantes, en un formato económico. Con dos motores y total compatibilidad con el software CEREC 5.3.4 y el nuevo flujo de trabajo CEREC en DS Core, es una gran solución para las clínicas en crecimiento que están listas para expandirse sin comprometerse con el nivel premium. Las tres unidades de fresado son compatibles con el modo de fresado ultrarrápido, lo que permite fresar rápidamente restauraciones de composite y cerámica híbrida: coronas en tan solo 4 minutos e incrustaciones en unos 2 minutos. Al no requerir tratamiento térmico, los odontólogos pueden colocar restauraciones completas más rápidamente y con menos pasos. CEREC Primemill también ofrece el modo de fresado ultrarrápido, que permite fresar una corona de zirconia en unos 5 minutos.

CEREC Cercon 4D: nuevos bloques de zirconia

Las actualizaciones tecnológicas se complementan con los nuevos bloques de zirconia CEREC Cercon 4D. Combinan una resistencia a la flexión de más de 1100 MPa con una tecnología patentada de estratificación 3D que reproduce la dentina y el esmalte naturales, lo que permite realizar restauraciones muy estéticas con un grosor de pared mínimo: 0,5 mm para coronas y 0,6 mm para puentes. Están disponibles en versiones mono, medi y pilar, y cubren una amplia variedad de restauraciones (coronas, puentes, incrustaciones, recubrimientos, carillas y restauraciones soportadas por implantes).

Las innovaciones están disponibles para su presentación previa y para experiencias prácticas en múltiples eventos desde septiembre.

Dentsply Sirona www.dentsplysirona.com

Gama completa de férulas de descarga con NightGuard Flex, NightGuard Firm 2 y diseño con IA de SprintRay

SprintRay ofrece ahora una gama completa de férulas de descarga, desde NightGuard Flex, para mayor comodidad, hasta NightGuard Firm 2, para casos de bruxismo intenso, proporcionando durabilidad y soluciones adaptadas a cada paciente.

Su flujo de trabajo con diseño AI hace que crear férulas de descarga personalizadas sea rápido y sencillo: sube los escaneos, selecciona el diseño y apruébalo. Entrega férulas precisas y listas para imprimir en menos de una hora. Además, si tus pacientes tienen requisitos específicos o necesitan férulas especiales como Michigan o Kois, pueden utilizar su servicio de diseño experto. Las férulas de descarga personalizadas empiezan desde solo 29 €, con un tiempo de entrega de 24 horas o tan solo 45 minutos con la opción exprés.

Descubre la combinación perfecta de materiales avanzados y diseño inteligente para tratamientos de férulas nocturnas más rápidos, fiables y eficaces.

SprintRay NightGuard Firm 2

• Perfecto para férulas oclusales rígidas con resistencia al impacto excepcional de 51,8 J/m.

• Mayor comodidad para el paciente y resistencia a la fractura.

• Integración perfecta con el sistema de impresión 3D de SprintRay para producción y entrega en menos de 1 hora.

• Nuevo tono Midnight Purple que se pule hasta un acabado translúcido.

• Aprobado como dispositivo médico Clase I MDR.

SprintRay www.sprintray.com

Valladolid acogerá el XIII Congreso Ticare los días 6 y 7 de febrero de 2026

Ticare celebrará el XIII Congreso Ticare los días 6 y 7 de febrero de 2026 en Valladolid, con motivo del 30º aniversario de la compañía. Un evento que desafía todos los límites, combinando ciencia, evidencia e innovación.

El Congreso reunirá a más de 55 ponentes de reconocido prestigio nacional e internacional, y ofrecerá programas específicos para odontólogos, protésicos, higienistas y auxiliares, en un entorno formativo, social y multidisciplinar.

Durante dos jornadas intensivas, los asistentes disfrutarán de conferencias de alto nivel, espacios de networking y contenidos prácticos aplicables directamente a la clínica diaria, todo con un enfoque centrado en la implantología de vanguardia.

Como cierre del evento, se celebrará una cena-fiesta exclusiva para todos los participantes: un momento festivo y distendido para conmemorar juntos los 30 años de Ticare y celebrar el futuro de la implantología.

La inscripción al XIII Congreso Ticare es gratuita y ya está disponible en: www.congreso.ticareimplants.com

Ticare Implants www.ticareimplants.com

Primer Grupo de Prensa

Profesional Especializado

Primer Grupo de Prensa Profesional Especializado

NUESTROS CANALES DE DIFUSIÓN:

NUESTROS CANALES DE DIFUSIÓN:

• Revista en Papel

• Revista en Papel • Revista Digital

• Web

• Revista Digital

• Newsletters

• Web • Newsletters

• Redes Sociales PUBLICACIONES MULTIPLATAFORMA CON CINCO PILARES QUE GARANTIZAN UNA VISIBILIDAD

• Redes Sociales

PUBLICACIONES MULTIPLATAFORMA CON CINCO PILARES QUE GARANTIZAN UNA VISIBILIDAD DEL 100%

NUESTRAS PUBLICACIONES:

AUTOMATIZACIÓN Y TECNOLOGÍA

AUTOMATIZACIÓN Y TECNOLOGÍA

Automática e Instrumentación www.automaticaeinstrumentacion.com

Automática e Instrumentación www.automaticaeinstrumentacion.com

CONSTRUCCIÓN

CONSTRUCCIÓN

CIC Arquitectura y Sostenibilidad - www.cicconstruccion.com

CIC Arquitectura y Sostenibilidad - www.cicconstruccion.com

ClimaNoticias - www.climanoticias.com

ClimaNoticias - www.climanoticias.com

ElectroNoticias - www.electronoticias.com

ElectroNoticias - www.electronoticias.com

POSVENTA DE AUTOMOCIÓN

POSVENTA DE AUTOMOCIÓN

Talleres en Comunicación - www.posventa.info

Talleres en Comunicación - www.posventa.info

Posventa de Automoción.com - Chapa y Pintura, Neumáticos y Mecánica Rápida, Nuestros Talleres, Recambios y Accesorios www.posventa.com

Posventa de Automoción.com - Chapa y Pintura, Neumáticos y Mecánica Rápida, Nuestros Talleres, Recambios y Accesorios www.posventa.com

HOSTELERÍA Y RESTAURACIÓN

HOSTELERÍA Y RESTAURACIÓN

Hostelería, Diseño, Equipamiento, Food Service & Beverage www.revistahosteleria.com

Hostelería, Diseño, Equipamiento, Food Service & Beverage www.revistahosteleria.com

DISTRIBUCIÓN

DISTRIBUCIÓN

Aral - www.revistaaral.com

Aral - www.revistaaral.com

BeautyProf - www.revistabeautyprof.com

Nueva Ferretería - www.nuevaferreteria.com

DM Dentista Moderno - www.eldentistamoderno.com NUESTRAS PUBLICACIONES:

BeautyProf - www.revistabeautyprof.com

Nueva Ferretería - www.nuevaferreteria.com

INDUSTRIA

INDUSTRIA

AutoRevista - www.auto-revista.com

AutoRevista - www.auto-revista.com

Metales & Metalurgia-Máquinas - www.metalesymaquinas.com

Metales & Metalurgia-Máquinas - www.metalesymaquinas.com

Óleo - www.oleorevista.com

Óleo - www.oleorevista.com

Revista PQ - www.revistapq.com

Revista PQ - www.revistapq.com

LOGÍSTICA Y TRANSPORTE

LOGÍSTICA Y TRANSPORTE

Autobuses & Autocares - www.autobusesyautocares.com

Autobuses & Autocares - www.autobusesyautocares.com

Logística Profesional - www.logisticaprofesional.com

Todotransporte - www.todotransporte.com

Logística Profesional - www.logisticaprofesional.com Todotransporte - www.todotransporte.com

SANITARIO

SANITARIO

DM Dentista Moderno - www.eldentistamoderno.com

Dentalreply.com, plataforma digital que ofrece un ecosistema abierto para el sector dental

Dentalreply.com es una plataforma digital independiente diseñada para convertirse en un ecosistema abierto del sector dental, donde cualquier empresa de este sector puede ofrecer, encontrar y contratar servicios especializados, sin intermediarios ni condiciones de exclusividad. El objetivo de Dentalreply.com es crear un punto de encuentro neutral y profesional que facilite la colaboración, la visibilidad y la eficiencia entre los distintos actores del sector dental. Dentalreply permite que cualquier empresa o profesional del ámbito dental (distribuidores, fabricantes, laboratorios, clínicas, técnicos, asesores, formadores, etc.) publique sus servicios o solicite colaboraciones, en un entorno profesional y verificado.

Ventajas para los usuarios

• Libertad total de contratación: se pueden contratar servicios por separado (diseño,

fresado, impresión) o de forma integral, según las necesidades del cliente.

• Mayor visibilidad para pequeños proveedores del sector que, gracias al tráfico de la plataforma, pueden alcanzar más clientes.

• Optimización de tiempos y recursos, al facilitar la subcontratación y la colaboración entre especialistas.

En un sector cada vez más digital, colaborativo y exigente, Dentalreply.com nace para poner en valor el talento y la especialización de cada empresa, permitiendo construir una red flexible y profesional que responda a las nuevas demandas del mercado.

DentalReply www.dentalreply.com

Corus se viste de rosa en octubre con su campaña Nobrux contra el cáncer de mama

Un año más, Corus se viste de rosa en octubre con su campaña Nobrux contra el cáncer de mama, que cumple ya cinco años de compromiso ininterrumpido con la investigación en cáncer de mama. Como en ediciones anteriores, Corus colaborará con la Asociación Española Contra el Cáncer (AECC) a través de una donación de 10.000 €, destinada al proyecto de investigación liderado por la Dra. Fara Brasó Maristany, centrado en identificar nuevas vulnerabilidades para superar la resistencia en el cáncer de mama metastásico HR+. El estudio analiza alrededor de 200 muestras tumorales con modelos avanzados de laboratorio, con el objetivo de encontrar tratamientos más eficaces para estos casos de difícil abordaje. Además, este 2025 Corus extenderá su apoyo con una aportación total de más de 30.000 € a distintos proyectos en España, Francia, Bélgica y Holanda, reforzando así su compromiso internacional con la investigación oncológica.

Durante todo el mes de octubre, todas las férulas digitales Nobrux se distribuirán en un packaging rosa especial, acompañado de información sobre el proyecto y enlaces de donación para que profesionales y pacientes puedan contribuir de manera individual a la causa a través de las plataformas habilitadas por la AECC.

El cáncer de mama es ya el segundo tumor más diagnosticado en el mundo y afecta a más de 557.000 mujeres en Europa. Iniciativas como Nobrux, dulces sueños, grandes causas, buscan concienciar sobre la magnitud de este reto sanitario y fortalecer el apoyo a la investigación científica, que es clave para mejorar el pronóstico, la supervivencia y la calidad de vida de las pacientes.

“Hace cinco años nos comprometimos a apoyar la investigación contra el cáncer de mama, y hoy seguimos firmes en esa misión. Porque avanzar en ciencia es también avanzar en calidad de vida”, afirman desde Corus.

Corus Dental www.corusdental.com

Fabricantes
Distribuidores
Laboratorios dentales
Servicios parciales
Clínicas dentales

IMPRESO EN 3D .

THE WORLD’S FIRST DIGITAL RESTORATION PRESS

La tecnología patentada Digital Press Stereolithography™ impulsa un sistema integral de cápsulas de resina, que imprime resinas ultraviscosas con relleno cerámico con una precisión inigualable. Aprobado por la MDR para coronas, inlays, onlays y carillas. Vea Midas en acción Escanea para tener tu demo personalizada

Oferta iClave plus + M900L

AUTOCLAVE DE CLASE B CON TECNOLOGÍA DE VANGUARDIA

iClave plus REF. Y1003077

•Autoclave de clase B (conforme a la norma EN 13060)

M900L

REF. P1254001

3. * 499€* 9.340€

ULTIMATE XL

DESDE EL 1 DE OCTUBRE HASTA EL 30 DE NOVIEMBRE DE 2025

MICROMOTOR DE LABORATORIO DE INDUCCIÓN

¿Cómo disfrutar de la oferta?

Contacta con tu distribuidor de confianza para solicitar la oferta

ULTIMATE XL Compact

REF. Y141472

• Torque potente y estable de 6,0 Ncm

• Velocidad: 1.000~50.000 min-1

• Peso: 181 gramos (sin incluir el cable)

1.109€*

2.526€*

Envía tu viejo motor de laboratorio a NSK Dental Spain junto con un

Disfruta de nuestro descuento exclusivo

* Los precios no incluyen IVA • Ofertas limitadas hasta el 30 de noviembre de 2025 o hasta fin de existencias.

Turn static files into dynamic content formats.

Create a flipbook
Issuu converts static files into: digital portfolios, online yearbooks, online catalogs, digital photo albums and more. Sign up and create your flipbook.