El Dentista Moderno Nº 85

Page 1

www.eldentistamoderno.com

ENTREVISTAS

• Dr. José Montes Jiménez, cirujano maxilofacial en Clínica Dental MAEX Cuevas Queipo

• Dr. Rafael Martínez de Fuentes, presidente del 53º Congreso Anual de SEPES

IMPLANTOLOGÍA

ODONTOLOGÍA ESTÉTICA

PRÓTESIS

IMPRESIÓN 3D

JÓVENES TALENTOS

Dr. Ignacio Pedrinaci Peñalver

@eldentistamoderno

@eldentistamoderno

@eldentistamoderno

Siguiendo la evolución de la Odontología para el profesional del sector llamado a construir el futuro

PRETTAU®

D4.0

ENTREVISTA A LA INDUSTRIA DENTAL

PENSANDO EN EL FUTURO

INVESTIGACIÓN

N úmero 85 • Mayo/Junio 2024
VENEERS
CON LA LÍNEA DE ZIRCONIA PRETTAU® MÁS INFORMACIÓN r.zirkonzahn.com/vbp @dentistamoderno
SKIN®
ULTRA FINAS (0,2 mm) REALIZADAS

Irrigación

bucal : waterpik®

Los irrigadores Waterpik®,vendidos a través deDENTAID, pueden garantizar:

• Seguridad

• Cumplimiento ISO

• Calidad

• Investigación

• No manipulación del producto

• Eficacia demostrada con estudios clínicos

• Servicio técnico post venta de calidad y con piezas originales

DENTAiD Oral health. Better life.
watelplk waterf/osser '

TECNOLOGÍA PRGF - ENDORET®

LA REGENERACIÓN TISULAR CON EL MAYOR AVAL CIENTÍFICO ( MÁS DE 300 PUBLICACIONES)

LÍQUIDO (ATM) COÁGULO INJERTO AUTÓLOGO INJERTO CON BIOMATERIAL MEMBRANA DE FIBRINA VERSATILIDAD

REESCRIBE LA MANERA DE TRATAR A LOS PACIENTES

POR 5 RAZONES:

1. Acelera la curación

2. Acorta los tiempos de tratamiento

3. Reduce las complicaciones postoperatorias

4. Disminuye los costes en retratamientos

5. Mejora la experiencia del paciente

¿POR QUÉ ES ÚNICO ENDORET ® ?

1 eldentistamoderno mayo/junio 2024 BTI Biotechnology Institute Tel: (+34) 945 140 024 | bti-biotechnologyinstitute.es Tratamiento de plasma rico en factores de crecimiento

eldentistamoderno

Número 85 - Mayo/Junio 2024

Siguiendo la evolución de la odontología

DIRECTORA

Emiliana Rodríguez Charmes emi.rodriguez@eldentistamoderno.com

SUBDIRECTORA

Beatriz Suárez de la Vega beatriz.suarez@eldentistamoderno.com

REDACCIÓN Y FOTOGRAFÍA

Departamentos propios Versys Ediciones Técnicas

COMITÉ CIENTÍFICO

Javier de la Cruz, José Nart, Jesús Daniel Parejo, Juan López Palafox, Miguel Burgueño, Juan Manuel Vadillo, Guillermo Galván, Rafael Martínez de Fuentes, Anna Ramiro, Carlos Repullo, Leticia Rodríguez, Marta Revilla, José María Malfaz, Eva Mª Martínez y Eva López de Castro

DISEÑO Y MAQUETACIÓN

Manuel Beviá

DIRECTORA COMERCIAL ÁREA DE DISTRIBUCIÓN

Mercedes Álvarez mercedes.alvarez@versysediciones.com

DIRECTORA DE CUENTAS DM

Emiliana Rodríguez Charmes emi.rodriguez@eldentistamoderno.com

EJECUTIVA DE CUENTAS DM

Beatriz Montero Fernández de Bobadilla beatriz.montero@eldentistamoderno.com

Impresión: Gama Color

Depósito Legal: M-33444-2013

ISSN: 2340-9703

ISSN (internet): 2340-9797

Versys Ediciones Técnicas S.L. Invierno, 17 28850 Torrejón de Ardoz (+34) 912 972 000 administracion@versysediciones.com

CEO

José Manuel Marcos Franco de Sarabia

DIRECTORA DE OPERACIONES

Esther Crespo

DIRECTOR DE EXPANSIÓN Y DESARROLLO

José Manuel Marcos de Juanes

Copyrigth Versys Ediciones Técnicas S.L. La suscripción a esta publicación autoriza el uso exclusivo y personal de la misma por parte del suscriptor. Cualquier otra reproducción, distribución, comunicación pública o transformación de esta publicación sólo puede ser realizada con la autorización de sus titulares. En particular, la Editorial, a los efectos previstos en el art. 32.1 párrafo 2 del vigente TRLPI, se opone expresamente a que cualquier fragmento de esta obra sea utilizado para la realización de resúmenes de prensa, salvo que cuente con la autorización específica. Diríjase a CEDRO (Centro Español de Derechos Reprográficos) si necesita fotocopiar, escanear, distribuir o poner a disposición de otros usuarios algún fragmento de esta obra, o si quiere utilizarla para elaborar resúmenes de prensa (www. conlicencia.com; 917021970/932720447)

Las opiniones y conceptos vertidos en los artículos firmados lo son exclusivamente de sus autores, sin que la revista los comparta necesariamente.

Premio de Comunicación SECIB 2019

2 eldentistamoderno mayo/junio 2024
ENTREVISTAS Dr. José Montes Jiménez, cirujano maxilofacial en Clínica Dental MAEX Cuevas Queipo Dr. Rafael Martínez de Fuentes, presidente del 53º Congreso Anual de SEPES IMPLANTOLOGÍA ODONTOLOGÍA ESTÉTICA PRÓTESIS IMPRESIÓN 3D JÓVENES TALENTOS Dr. Ignacio Pedrinaci Peñalver www.eldentistamoderno.com Siguiendo la evolución de la Odontología para el profesional del sector llamado a construir el futuro N úmero 85 • Mayo/Junio 2024 @eldentistamoderno @eldentistamoderno D4.0 ENTREVISTA A LA INDUSTRIA DENTAL PENSANDO EN EL FUTURO INVESTIGACIÓN PRETTAU® SKIN® VENEERS ULTRA FINAS (0,2 mm REALIZADAS CON LA LÍNEA DE ZIRCONIA PRETTAU® MÁS INFORMACIÓN r.zirkonzahn.com/vbp
Accede a Dentista Moderno
Siguiendo la evolución de la Odontología para el profesional del sector llamado a construir el futuro ENTREVISTA A LA INDUSTRIA DENTAL Zelko Relic, vicepresidente Ejecutivo y director de Tecnología de Align, y Karim Bousseeba, vicepresidente Ejecutivo director general de la división de negocio de escáneres iTero servicios relacionados INVESTIGACIÓN Antropología dental Grupo de Antropología Dental del CENIEH PENSANDO EN EL FUTURO Ciberseguridad REPORTAJE “En Sanitas Dental acompañamos al paciente durante toda su vida” Dra. Manuela Escorial N úmero 85 Las cosas que funcionan no cambian, EVOLUCIONAN S uplemento • Mayo/Junio 2024 Monográfico @eldentistamoderno
staff

ESCANEADO

Nuestro �lujo de trabajo digital del escaneado al provisional en 60* minutos combina de manera única excelente hardware y software de diferentes fabricantes para crear un e�iciente �lujo de trabajo sin �isuras. Escanea el código QR para obtener más información.

nobelbiocare.com

GMT90257 ES 2405 © Nobel Biocare, 2024. Reservados todos los derechos. Nobel Biocare, el logotipo de Nobel Biocare y todas las demás mar cas comerciales son, a menos que se especi�ique lo contrario o se deduzca claramente del contexto en algún caso, marcas comerciales de Nobel Biocare. Las imágenes de los productos no están necesariamente reproducidas a escala. DEXIS™ IS está fabricado por Dental Imaging Technologies Corporation (450 Commercial Drive, Quakertown, PA USA 18951) y distribuido por Nobel Biocare. Las impresoras SprintRay 3D están fabricadas por SprintRay Inc., 2705 Media Center Drive, Suite 100A, Los Angeles, CA y distribuido por Nobel Biocare. X-Guide® está fabricado X-Nav Technologies, LLC 1555 Bustard Road Suite 75, Lansdale PA 19446, USA y distribuido por Nobel Biocare. * Los tiempos indicados para el �lujo de trabajo digital del escaneado al provisioonal, se basan en un escenario optimizado que no incluye pasos adicionales como radiografías, anestesia del paciente e incluye plani�icación previa de los implantes. Los 60 minutos mencionados se re�ieren a una situación con una buena posición inicial del hueso y sólo deben servir a modo orientativo.

3 eldentistamoderno mayo/junio 2024
60
MIN* Del a la restauración provisional

sumario

EDITORIAL

Tradición e innovación, la combinación del éxito

Por Emi Rodríguez Charmes, directora de Dentista Moderno y D4.0.

IMPLANTOLOGÍA

Superficie SOI de Osstem Implant Spain

ENTREVISTA

“El uso de las mallas subperiósticas en maxilar superior ha supuesto una revolución”

Dr. José Montes Jiménez, cirujano maxilofacial en Clínica

Dental MAEX Cuevas Queipo y Jefe del Servicio de Cirugía

Maxilofacial del Hospital Vithas Xanit Internacional de Málaga

WORKFLOW DIGITAL

El poder del workflow digital en implantología: precisión y control en tus tratamientos

Autor: Dr. Didier Delmas 24

ENTREVISTA

“Pretendemos acercar a nuestros socios lo mejor de la digitalización, la prótesis y la estética mundial”

Dr. Rafael Martínez de Fuentes, presidente del 53º Congreso

Anual de SEPES, vicepresidente de SEPES y Profesor coordinador de Prótesis Estomatológica de la Universidad de Sevilla

ODONTOLOGÍA ESTÉTICA

Enfoque de equipo en odontología estética

Autores: Dr. Alfonso Gil, Dr. Ronald Jung, Dr. Christoph Hämmerle y Dr. Pascal Müller.

PRÓTESIS

Rehabilitación de la arcada superior con una prótesis removible utilizando coronas telescópicas de zirconia y PEEK

Autores: José C. Alva-Manríquez, Prof. Luis Lomas-Symonds y Prof. Eric Sánchez-Alonso.

JÓVENES TALENTOS

“El futuro de la profesión es la especialización”

Dr. Ignacio Pedrinaci Peñalver, especialista en Periodoncia e Implantes y profesor en el Máster de Periodoncia de la UCM y Harvard University 44

IMPRESIÓN 3D

Todo lo que puedes imprimir en un día de trabajo

Autor: Dr. Fernando Germán.

ACTUALIDAD DEL SECTOR DENTAL

90 NOVEDADES

Equipamiento, instrumental y material protésico, dental y clínico

52

58

D4.0

ENTREVISTA A LA INDUSTRIA DENTAL

“Lo digital es inherente al ADN de Align”

Zelko Relic, vicepresidente Ejecutivo y director de Tecnología de Align, y Karim Bousseeba, vicepresidente Ejecutivo y director general de la división de negocio de escáneres iTero y servicios relacionados

REPORTAJE

“En Sanitas Dental acompañamos al paciente durante toda su vida”

Dra. Manuela Escorial, odontóloga responsable del departamento de Innovación y Calidad Clínica de Sanitas Dental

62

REPORTAJE

Comienza con éxito el Curso modular “Inmersión Digital en Estética Adherida” de Corus Academy

64

68

74

PENSANDO EN EL FUTURO

La importancia de la seguridad de los datos en las clínicas dentales

SENSIBILIDAD DENTAL

Documento de consenso del I Advisory Board Español sobre Manejo de la Sensibilidad Dentinal

Autores: Laura Ceballos, M. Carmen Llena, Yolanda Martínez Beneyto y Jose Mª Montiel.

INVESTIGACIÓN

Los caninos revelan nuevas claves para la estimación del sexo en poblaciones humanas

Grupo de Antropología Dental del CENIEH

4 eldentistamoderno mayo/junio 2024 8
10
12
18
EN IMPLANTOLOGÍA
NOBEL BIOCARE
28
32
36
DM
80

¡DESCUBRE EL PROGRAMA COMPLETO!

6 eldentistamoderno mayo/junio 2024
Eficacia mínimamente invasiva

TRADICIÓN E INNOVACIÓN, LA COMBINACIÓN DEL ÉXITO

Quien haya tenido el placer de leer el ensayo de Irene Vallejo, “El infinito en un junco”, coincidirá conmigo en que es un fascinante recorrido por la memoria del ser humano a través de los libros. Nos transporta en el tiempo desde el comienzo con los buscadores de libros que recopilaban, ya fuera comprando o engañando, todos los libros que pudieran reunir para llevarlos al Egipto de los faraones y así crear la Biblioteca Universal de Alejandría.

Y este viaje continúa más allá en el tiempo...

La evidencia de esta maravillosa investigación es clara, el papel ha resistido y confío en que resistirá todas las revoluciones.

Estudios recientes de expertos en Neurociencia defienden que la lectura en papel ofrece ventajas, no excluyentes del valor de la lectura en digital, pero sí únicas en relación a cómo adquirir una mayor comprensión, una mejor reflexión crítica sobre lo que se lee, permite mayor satisfacción al facilitar una navegación más intuitiva en textos largos y favorece la memoria relacionando experiencias sensoriales, como las táctiles, potenciando el recuerdo de la experiencia. Como dice el profesor y director del Laboratorio de Memoria Dinámica de la Universidad de California, Charan Ranganath, “recordar es un viaje maravilloso, de ida y vuelta, por el espacio y por el tiempo pasado y presente”.

En Dentista Moderno, creemos que la verdadera disrupción está en la simbiosis de las dos opciones, la lectura en papel y en digital. Ambas opciones se complementan en un mismo entorno para el beneficio del profesional; tanto la revista en papel como la navegación por nuestras plataformas digitales, con acceso a todos nuestros contenidos.

Por eso os presentamos un nuevo producto en ambos formatos, nuestro Suplemento de Dentista Moderno, un monográfico profesional, que en esta primera experiencia ha surgido de la colaboración con Sweden & Martina, garantizando de su mano la evidencia científica, la excelencia, el conocimiento y las soluciones para los profesionales de la odontología. ¡Os invitamos a que lo leáis!

Además del contenido de nuestra edición de la revista de este mes, que ofrece entrevistas a expertos como el Dr. José Montes, cirujano maxilofacial, un “apasionado” de la Implantología; el Dr. Rafael Martínez de Fuentes, presidente del Congreso SEPES Sevilla 2024, un encuentro que nos sumergirá en la digitalización, la prótesis y la estética mundial; así como a nuestro joven talento, el Dr. Ignacio Pedrinaci, experto en periodoncia e implantes.

Adéntrate en la lectura de Dentista Moderno, con entrevistas, casos clínicos, artículos..., de la manera que prefieras, tal vez elijas tener entre tus manos nuestra revista o leernos en digital.

La “Era Gutenberg” y la “Era Digital”, unidas en Dentista Moderno para vosotros.

Siguiendo la evolución de la Odontología y apoyando al profesional del sector llamado a construir el Futuro.

8 eldentistamoderno mayo/junio 2024
EDITORIAL
Emi Rodríguez Directora de Dentista Moderno y D4.0
9 eldentistamoderno mayo/junio 2024 E S P E C I A L I S T A U N I V E R S I T A R I OE N

SUPERFICIE SOI DE OSSTEM IMPLANT SPAIN

Recubrimiento de una superficie de implante tratada con chorro de arena y grabada con ácido con un agente tampón de pH después de la fotofuncionalización con UV al vacío (implante TS III SOI de Osstem).

La fotofuncionalización ultravioleta (UV) puede resetear el envejecimiento biológico del titanio después de la preparación y almacenamiento de implantes dentales al transformar superficies hidrofóbicas de titanio en superficies superhidrófilas. La formación de coágulos de sangre alrededor del implante puede inicializar y promover el proce-

so regenerativo en la interfaz hueso-implante. El objetivo de este estudio es evaluar y comparar las capacidades de humectabilidad de la superficie y coagulación sanguínea de los implantes con una superficie convencional arenada y grabada con ácido (SA), una superficie arenada y grabada con ácido con tratamiento UV al vacío (SA + VUV), y una superficie arenada y grabada con ácido recubierta con un agente tampón de pH después del tratamiento UV al vacío (SA + VUV + BS). Se realizaron pruebas estáticas y dinámicas de humectabilidad de la superficie y coagulación sanguínea in vitro para SA + VUV y SA + VUV + BS (n = 5), mientras que la hemostasia resultante de la coagulación sanguínea se evaluó in vivo para SA, SA +VUV y SA +. VUV + BS (n = 4).

La prueba de Kruskal-Wallis mostró diferencias estadísticamente significativas (p < 0,05) en todas las pruebas, a excepción de la prueba in vitro de coagulación sanguínea estática. Por lo tanto, el tratamiento VUV es eficaz para hacer que una superficie SA sea superhidrófila como alternativa a la radiación UV-C de rutina. La adición de un agente amortiguador del pH a SA + VUV S (implante TS III SOI de Osstem), también mejoró significativamente la humectabilidad de la superficie y la coagulación sanguínea, que son cruciales para una osteointegración exitosa.

El tratamiento VUV de la superficie SOI, reduce la contaminación de carbono superficial a menos del 20%, incrementando su osteointegración. 

Lee el Abstract completo

estudioIMPLANTOLOGÍA 10 eldentistamoderno mayo/junio 2024

Acorta tu tratamiento con la superficie más novedosa.

Stands E37-E38 Taller de elevación de seno fácil y segura con CAS - LAS Kit. Dr. Berrazueta.
Tiempo record de oseointegración

“EL USO DE LAS MALLAS SUBPERIÓSTICAS EN MAXILAR SUPERIOR HA SUPUESTO UNA REVOLUCIÓN”

Dr. José Montes Jiménez, cirujano maxilofacial en Clínica Dental MAEX Cuevas Queipo y Jefe del Servicio de Cirugía Maxilofacial del Hospital Vithas Xanit Internacional de Málaga

Experto en tumores de cabeza y cuello, cáncer oral, cirugía oral, cirugía ortognática, diente incluido o implantes cigomáticos, el Dr. José Montes Jiménez, cirujano maxilofacial en Clínica

Dental MAEX Cuevas Queipo y Jefe del Servicio de Cirugía Maxilofacial del Hospital Vithas Xanit Internacional de Málaga, se define en esta entrevista como un “apasionado” de la implantología en todas sus vertientes y un “enamorado” de la rehabilitación con cigomáticos. El Dr. Montes nos cuenta su experiencia en cirugía de la base craneal y atrofia maxilomandibular extrema, destacando su especial interés por el estudio de las mallas subperiósticas.

 DM.- Con más de 30 años de experiencia en Implantología, ¿cuál considera usted que han sido los avances más destacados en esta especialidad?

Dr. José Montes Jiménez (Dr. J.M.J.).- Ante todo, muchas gracias. Es la segunda vez que me entrevistan en su revista. La primera fue sobre implantes cigomáticos. En ese momento ya me pregunté cómo existiendo tantos profesionales en la Odontología y en la Cirugía Maxilofacial y tantas personas como conozco con un perfil de investigadores y docentes increíbles me hacían esa entrevista. Sigo preguntándomelo. Así que gracias de nuevo. Me siento muy honrado.

Yo empecé en implantología en 1988 y pienso que esta disciplina ha evolucionado como muchos tratamientos sanitarios de manera impensable. Si en aquellos años nos hubieran dicho que íbamos a contar con los métodos diagnósticos actuales, la ingeniería digital, softwares de planificación y cirugía guiada, navegación, robótica, implantes cortos, angulados, compresivos, toma de injertos guiada, biomateriales como los actuales, superficies y diseños seguros de implante, implantes de anclaje remoto o implantes personalizados y técnicas de manejo como las actuales de partes blandas, conocimiento de la respuesta tisular al implante, de conexiones protésicas o la inteligencia artificial aplicada, nos habríamos sentido

entrevista ENTREVISTA 12 eldentistamoderno mayo/junio 2024
La investigación asociada a la evidencia clínica ha permitido ofertar tratamientos cada vez más simples y seguros

como lo harán las generaciones venideras de implantólogos cuando piensen en nosotros. Pero aquí estamos, y preparándonos para el futuro con ilusión en nuevos conocimientos.

 DM.- ¿Cómo han influido las nuevas tecnologías en el desarrollo de la Implantología y sus tratamientos?

Dr. J.M.J.- Tanto que es difícil mantenerse al día. En mi opinión la investigación asociada a la evidencia clínica ha permitido ofertar tratamientos cada vez más simples y seguros. Sin duda, el flujo digital y la aplicación de la ingeniería biomédica a los procesos de atrofia son para mí los dos grandes pilares en los que todos los implantólogos basamos hoy en día nuestros tratamientos cada vez más versátiles y predecibles. Sin embargo, hemos aprendido que la tecnología no anula la necesidad del implantólogo de conocer la cirugía implantológica reglada. Hace años había quien decía que lo hacía todo con guiada y casi no sabía dar un punto. Hoy obviamos la complejidad innecesaria gracias a la tecnología y mejoramos nuestros resultados, pero sabemos cuáles son sus límites. El cirujano bariátrico general que trabaja con pequeñas incisiones y laparoscopia no exime en sus conocimientos la cirugía mayor abierta, a veces necesaria o inevitable.

 DM.- Es usted experto en tumores de cabeza y cuello, cáncer oral, cirugía oral, cirugía ortognática, diente incluido o implantes cigomáticos. ¿Cuál es su principal objetivo a la hora de resolver este tipo de casos complejos?

Dr. J.M.J.- Es una pregunta muy amplia. Personalmente siempre he intentado en cualquier faceta de mi especialidad lo que me enseñaron durante mi período de residencia: procurar el tratamiento más sencillo y predecible y menos mórbil y buscar soluciones cuando no parece fácil o parecen no existir. Es por ello que me dediqué a la cirugía de la base craneal y a la atrofia maxilomandibular extrema.

 DM.- Actualmente, ejerce como cirujano oral y maxilofacial en la Clínica Dental MAEX Cuevas Queipo. ¿Cómo se implementa la digitalización y las nuevas tecnologías en la clínica? Y ¿qué ha supuesto la incorporación de la Clínica Dental Cuevas Queipo al proyecto MAEX?

Dr. J.M.J.- Los procesos de digitalización e implementación de nuevas tecnologías en nuestra práctica odontológica nos han ayudado a mejorar la planificación de casos, aumentar la previsibilidad de los tratamientos, optimizar o reducir el tiempo de los mismos y mejorar la experiencia de nuestros pacientes. En el caso de la cirugía maxilofacial, empleamos diferentes softwares para el diseño personalizado y planificación de casos complejos, de forma que creamos soluciones únicas para cada paciente, con mayores tasas de éxito en comparación con otras soluciones estandarizadas. La incorporación de la clínica a MAEX, por tanto, ha supuesto un avance importante en este sentido, además de poder contar con el respaldo de una marca fuerte y un grupo líder que apuesta por dar a conocer lo que hacemos en la clínica y promover que pacientes con casos complejos o desahuciados en otros centros donde no han encontrado solución a sus problemas, puedan conocernos y ponerse en nuestras manos para solucionar en poco tiempo lo que consideraban ya imposible.

 DM.- Teniendo en cuenta su doble faceta profesional, ¿qué es lo que más le apasiona de la práctica pública y de la privada?

Dr. J.M.J.- De la pública, sin duda, la variabilidad de la patología a tratar y que el tratamiento no está mediatizado por el costo que asume el paciente. Es en la sanidad pública donde he podido desarrollar mi trabajo con la Neurocirugía y la Oftalmología

Carga inmediata bimaxilar cigomáticos, interforaminales y mallas posteriores en periimplantitis y periodontitis terminal bimaxilar en un solo tiempo.

13 eldentistamoderno mayo/junio 2024

Dres.

en intervenciones de mayor complejidad. Lo que soy se lo debo a mis compañeros del Hospital Virgen del Rocío y de Carlos Haya. Por circunstancias personales, estoy de excedencia voluntaria desde hace 11 años en pública y lo que he perdido como profesional lo he ganado en tiempo para mi familia. De la privada me apasiona la implantología en todas sus vertientes, no verme limitado por ninguna circunstancia al decidir mis estrategias de tratamiento y un equipo permanente y cohesionado. En nuestra clínica trabajar con maravillosos dentistas, increíbles prostodoncistas, estar acompañado por otro cirujano maxilofacial y contar con un Director Médico que me estimula a crecer cada día y mis ayudantes (ambas Eva) que hacen que vaya feliz a trabajar son un lujo inigualable.

 DM.- A lo largo de su carrera ha recibido varios premios relacionados con los implantes cigomáticos y con la cirugía de la base craneal. ¿Qué le llevó a investigar en cada uno de estos campos?

Dr. J.M.J.- Realmente los premios que he recibido han sido las satisfacciones de mis pacientes y soy muy afortunado porque de éstos he recibido muchos, y son los que recordaré siempre. En implantes cigomáticos hemos tenido la oportunidad de re-

habilitar muchos pacientes en nuestra clínica y en colaboración con muchas clínicas de España y nos ha producido grandes alegrías y pocas insatisfacciones. Trabajamos en su momento incorporando soluciones parciales, modificaciones a la técnica quirúrgica y a las indicaciones iniciales, muchas de ellas de uso habitual hoy en día, y esto produjo algún reconocimiento.

En cirugía de base craneal y órbitas he tenido la oportunidad de trabajar con el Dr. Miguel Ángel Arraez que es un referente en Neurocirugía de la Base Craneal. Trabajamos durante años en accesos transfaciales a la base y columna cervical y en reconstructiva craneofacial. Algunas entidades valoraron que nuestro trabajo merecía la pena y lo premiaron. Un tremendo orgullo.

 DM.- ¿Cuáles han sido los últimos avances que se han producido en la técnica de implantes cigomáticos?

Dr. J.M.J.- Yo creo que el más importante ha sido sentar las bases del conocimiento en híbrido y quad y conocer nuestras limitaciones y la temida ley del “todo o nada”. Hasta la aparición de las mallas subperiósticas, el éxito en cigoma era un paciente enamorado de clínica y cualquier complica-

entrevista ENTREVISTA 14 eldentistamoderno mayo/junio 2024

ción quitaba el sueño durante semanas al cirujano por la ausencia de alternativas eficaces.

Ya son muy conocidas las ventajas de las técnicas extrasinusales, exteriorizadas, extramaxilares y del concepto Zaga que han aportado versatilidad y seguridad, y minimizan complicaciones.

Pienso que los diseños actuales “flat”, las modificaciones de ápice y de la porción coronal del implante junto a los avances en cirugía pilotada o guiada, la mejora en el diseño protésicamente guiado y las innovaciones protésicas en flujo digital y en materiales de prótesis son los grandes avances.

 DM.- Háblenos sobre las mallas subperiósticas.

¿En qué casos se debe optar por este proceso?

¿Cuáles son los beneficios de esta tecnología?

Dr. J.M.J.- El sistema se introdujo en 1943 y tuvo gran difusión entre los años 1950 y 1960, pero fue abandonado gradualmente con la introducción de los implantes endoóseos osteointegrados y por los problemas que asociaban en su construcción, en obtener impresiones óseas precisas, en el diseño de dichos implantes y en el colapso intraóseo progresivo que sufrían por reabsorción ósea y el efecto de las fuerzas masticatorias. El desarrollo de las actuales tecnologías diagnósticas y de in-

El flujo digital y la aplicación de la ingeniería biomédica a los procesos de atrofia son para mí los dos grandes pilares en los que todos los implantólogos basamos hoy en día nuestros tratamientos cada vez más versátiles y predecibles. Sin embargo, hemos aprendido que la tecnología no anula la necesidad del implantólogo de conocer la cirugía implantológica reglada ”

geniería biomédica ha permitido planificar la fijación de estas mallas en zonas menos sujetas a la reabsorción como el cigoma, los pilares mediofaciales, el paladar duro, la rama ascendente y las líneas oblicuas o la cresta milohioidea, hueso supra o infraforaminal con gran exactitud, someterlas a estudios de elementos finitos, diseñar conexiones protésicas atornilladas desmontables o no, crear fijación monocortical estable, incorporar tornillos de fijación de superficies osteointegrables o no, generar diseños seguros con softwares de planificación muy contrastados e incorporar el conocimiento de las superficies de los implantes endoóseos a ellas. Inicialmente se han comenzado a utilizar por pocos profesionales en maxilares totalmente edéntulos de largo tiempo de evolución y la experiencia mayor en literatura ha sido con sobredentaduras implantorretenidas de carga inmediata. Existe menor experiencia en rehabilitación parcial y mandibular y muchas dudas sobre diseños, superficies, características biomecánicas, indicaciones o manejo de complicaciones. Nosotros llegamos a esta técnica en el rescate de tratamientos que nos remitían (fracasos reconstructivos, fracasos de cigomáticos) y pacientes con atrofias posteriores mandibulares que no aceptaban procedimientos de regeneración o reconstrucción vertical importante. Progresivamente hemos ido incorporando otras indicaciones. Efectuamos siempre rehabilitación atornillada inmediata en casos totales y atornillada final. En casos parciales esperamos 3 meses a carga atornillada final. Yo no diría tanto como “se debe optar por este proceso”, sino elegirlo dentro de alternativas ac-

15 eldentistamoderno mayo/junio 2024

Rescate de 3 cigomáticos. Corte de cigomáticos manteniendo sus ápices en cuerpo malar. Dos mallas superiósticas simultáneas y 6 emergencias para carga inmediata manteniendo paranasal derecho.

tuales de tratamiento que le ofertas a tu paciente en función de la experiencia y capacidad técnica de cada profesional.

Actualmente nuestro grupo lo propone como primera opción en maxilares atróficos muy severos donde la fijación mediofacial es adecuada y existe un mínimo de hueso subantral que nos permite fresar la cresta para intruir nuestras conexiones sin contacto sinusal. También en casos de exodoncias y explantes simultáneamente que cumplan estas características y permitan un adecuado manejo de tejidos blandos. Efectuamos siempre carga inmediata en las primeras 24 horas. También la empleamos en casos totales o parciales de pacientes atróficos que rechazan la regeneración o reconstrucción, la implantología cigomática o en tratamiento con bisfosfonatos.

Para mí, sin duda, el uso de las mallas subperiósticas en maxilar superior ha supuesto una revolución, con más de 1.500 implantes cigomáticos rehabilitados y considerándome un cirujano “enamorado” de la rehabilitación con cigomáticos. Sin embargo, en la cirugía es menos mórbil y el resultado más predecible. Yo creo que siempre que la malla no estuviera contraindicada por motivos técnicos, la elegiría como primera opción.

Por otro lado, estamos muy ilusionados en los tratamientos que realizamos con mallas subperiósti-

cas en rescate de fracasos reconstructivos, de cigomáticos, en defectos severos postquistectomía que no desean regenerativas y, muy especialmente, en la atrofia retroforaminal mandibular.

Para todos los cirujanos que utilizamos ampliamente implantes cigomáticos, un fracaso propio o remitido a largo plazo con implantes integrados en cigoma ha sido una pesadilla, por el escaso número y complejidad de opciones disponibles. Ahora efectuamos cortes múltiples en varios cigomáticos, legramos, mantenemos ápices de implantes integrados en hueso cigomático y colocamos mallas subperiósticas simultáneamente con tornillos en cigoma que evitan exquisitamente estos ápices y función inmediata. Esto era impensable hace dos años. Es una tremenda satisfacción para el paciente y para el equipo. Las cirugías se realizan generalmente bajo sedación y son muy rápidas. Con ironía diría que en lo que se consume tiempo es realmente en el trabajo de planificación. Recuerdo que en uno de nuestros casos fueron dos Meet de dos horas y media cada uno hasta consensuar el diseño, pero operamos en 90 minutos.

La misma gratificación hemos obtenido en rescate de periimplantitis.

Por otro lado, las mallas subperiósticas han modificado nuestra filosofía de abordar la atrofia mandibular extrema en 3 circunstancias: en primer lugar, en los extremos libres extremadamente atróficos, con un solo tiempo quirúrgico y prótesis a los 3 meses; en segundo lugar en fracasos de all-on-4 con atrofias posteriores y ausencia de posibilidad de nuevas angulaciones, que resolvemos con mallas posteriores y endoóseos o mallas interforaminales; y por último, en pacientes atróficos extremos con implantes previos interforaminales endoóseos que desean rehabilitación fija inmediata, incorporando mallas posteriores.

Hemos aprendido de la literatura y de mis colegas. Sabemos que existen casos de infección, rotura de malla, aflojamiento de fijaciones atornilladas y las temidas exposiciones. Todas ellas pueden hacer fracasar el procedimiento.

Pero no vemos complicaciones. Nosotros solo hemos encontrado una mínima exposición lingual en atrofia extrema con cresta milohioidea muy marcada y biotipo extremadamente fino, que no ha comprometido el resultado, si bien nos ha llevado a modificar la filosofía de la aleta lingual atornillada. No hemos observado más complicaciones, así que estamos sinceramente satisfechos,

ENTREVISTA 16 eldentistamoderno mayo/junio 2024
entrevista
Estamos sinceramente satisfechos, ilusionados y muy abiertos a compartir experiencias para generar evidencia científica en una técnica aún joven (malla subperióstica) ”

ilusionados y muy abiertos a compartir experiencias para generar evidencia científica en una técnica aún joven.

 DM.- En cuanto a su labor investigadora, ¿está trabajando en algún proyecto actualmente?

Dr. J.M.J.- En este momento estoy especialmente interesado en el estudio de las mallas subperiósticas. Estamos estudiando los cambios que observamos repetidamente en extremos libres mandibulares con atrofia extrema donde apreciamos importantes ganancias espontáneas de encía queratinizada tras su colocación. Pretendemos dar

igualmente variabilidad a las indicaciones y realizamos un prospectivo sobre su utilización en rescate de periimplantitis terminal y fracaso de cigomáticos con tratamientos de un solo tiempo quirúrgico y prótesis inmediata.

Pretendemos también ampliar las indicaciones y estudiamos la ferulización inmediata de mallas con implantes endoóseos antiguos o inmediatos, o con implantes cigomáticos, o con cirugías de función inmediata bimaxilar sobre otras mallas, implantes endoóseos o quad-cigoma. Por último, estamos realizando –con el apoyo de la industria– cambios en el diseño original que incorporamos a nuestros casos y han supuesto modificaciones de la fijación monocortical, en las extensiones a arbotantes anatómicos, en el papel de las fijaciones linguales en mallas mandibulares, en la mejora de las guías de corte y de incisión pilotada, en el comportamiento de las conexiones en relación con la base crestal y dientes adyacentes, y en cambios a la técnica quirúrgica habitual. Nuestra experiencia es tan solo de 39 casos en algo más de un año, así que creo que nos queda mucho camino que recorrer. Lo hago con una gran ilusión por el bienestar de los pacientes y orgulloso del grupo MAEX que continuamente me apoya en mis ideas. Gracias. 

17 eldentistamoderno mayo/junio 2024
Diseño de tornillos en cigoma evitando ápices de dos cigomas que serán parcialmente retirados manteniendo su extremo en cuerpo malar. Extremo libre mandibular bilateral doble malla simultánea para prótesis en 3 meses.

EL PODER DEL WORKFLOW DIGITAL EN IMPLANTOLOGÍA: PRECISIÓN Y CONTROL EN TUS TRATAMIENTOS

La digitalización es una realidad hoy en día en nuestra profesión, por lo tanto, es imprescindible que el odontólogo sepa sacar el máximo partido de todas las tecnologías disponibles con el fin de realizar tratamientos mucho más efectivos y predecibles. En este caso clínico se ha llevado a cabo un tratamiento complicado en una zona de alto valor estético, utilizando un protocolo 100% digital y pudiendo imprimir a nivel local todos los elementos necesarios para hacerlo real.

Dr. Didier Delmas Licenciado en Odontología por la Universidad UAX. Postgrado en Implantología Oral y Prótesis sobre Implantes por el FIE.

Postgrado en Ortodoncia por el Centro Europeo de Ortodoncia. Oclusión y Rehabilitación Oral con el Dr. Aníbal Alonso. Diploma Odontología Restauradora Estética por la Universidad de Valencia.

Cursos formativos:

Clínica en Maló Clinic, rehabilitación de maxilares técnica All-on 4 - Paulo Maló (Lisboa), el curso Cirugía Avanzadaen  implantología y regeneración ósea con el Dr. Sasha  Jovanovich o el curso Advanced bone and soft tissue regeneration con el Dr. Istvan Urban en su clínica de Budapest.

Práctica privada en Alicante.

Introducción

La digitalización es una realidad hoy en día en nuestra profesión, por lo tanto, es imprescindible que el odontólogo sepa sacar el máximo partido de todas las tecnologías disponibles con el fin de realizar tratamientos mucho más efectivos y predecibles. Las soluciones digitales en implantología cubren todas las etapas del tratamiento desde el diagnóstico, la planificación hasta la prótesis definitiva.

Todos sabemos que el aspecto más crítico a la hora de realizar un tratamiento implantológico y de obtener un buen resultado es sin duda la posición 3D de nuestro implante.

Para ello es imprescindible tener bajo control todas aquellas variables que pueden influir en dicha posición tal como la proximidad a dientes vecinos, margen de la futura restauración, volumen de hueso existente, emergencia protética, profundidad del implante, aditamentos protéticos.… Un sinfín de factores a tener en cuenta en los cuales las herramientas digitales van a jugar un papel crucial al permitir, controlar todos esos aspectos antes de abordar el caso, pudiendo verificarlos y cambiarlos, incluso antes de afrontar la cirugía.

La implantología digital nos va a aportar por tanto control y seguridad a la hora de tratar a nuestros pacientes. Por lo tanto, hoy en día es prácticamente impensable que un odontólogo no considere la utilización de todas estas herramientas.

Diagnóstico, el clon digital

Una de las aportaciones más útiles que nos ofrece la implantología digital es poder afrontar un caso sin necesidad de tener el paciente ante nosotros.

Para ello es imprescindible capturar todos aquellos datos que nos permitan recrear de forma digital la situación inicial del paciente.

No solo se trata de saber si tenemos suficiente hueso como se hacía antiguamente, afortunadamente la evolución en cuanto a filosofía y tratamiento nos ha permitido dar importancia a otros elementos fundamentales como los tejidos blandos y la futura prótesis a la hora de planificar nuestros tratamientos implantológicos.

Tenemos que definir un protocolo de primeras visitas que nos permita adquirir todos estos datos necesarios para la creación de nuestro club digital. Empezaremos por un protocolo de fotografía intraoral que nos permita ver la situación inicial del paciente y que a su vez nos sirva de prueba legal ante cualquier tipo de reclamación.

caso clínicoWORKFLOW DIGITAL EN IMPLANTOLOGÍA 18 eldentistamoderno mayo/junio 2024

Por otro lado, es imprescindible y fundamental realizar un CBCT de la arcada a tratar para poder visualizar los tejidos duros y hacer una primera valoración del lecho implantario y de la patología existente.

Otra prueba imprescindible hoy en día para nosotros es la realización de un escaneado intraoral que nos aporte la información de los tejidos superficiales y fusionado con el CBCT nos permita valorar los tejidos blandos del paciente.

Para manejar todos estos datos vamos a necesitar de un software de diagnóstico y planificación digital como es el de DTX StudioTM Implant en el cual vamos a abrir tanto el CBCT como el escaneado intraoral y nos va a permitir fusionar ambas mayas utilizando la herramienta SMARTFUSION. En un caso como éste, donde tenemos un incisivo central, superior, derecho, fracturado que vamos a extraer debemos realizar previamente la extracción Virtual en el modelo digital para poder incorporarlo a la planificación de nuestro software.

Con todos estos datos fusionados en el DTX StudioTM Implant, lo que vamos a hacer es utilizar la función SMARTSETUP para tener un encerado Virtual que nos permita determinar la posición de la futura restauración del paciente, en función de la cual colocaremos nuestro implante y el aditamento más adecuado.

En este caso, podemos ver que tenemos un defecto óseo vestibular, se trata de un defecto de una sola pared de la zona a implantar. Intentamos planificar un implante inmediato y observamos la posibilidad de tener un buen anclaje apical por lo tanto nuestra primera opción va a ser la realización de un implante post extracción con regeneración de la pared vestibular mediate xenoinjerto óseo e injerto de tejido conectivo para mejorar el biotipo.

19 eldentistamoderno mayo/junio 2024

caso clínicoWORKFLOW DIGITAL

En el caso de obtener suficiente torque, podríamos incluso valorar la opción de cargar dicho implante. En este caso lo que hacemos es planificar también un pilar con el fin de trabajar nuestra prótesis a nivel gingival, siguiendo la filosofía de “One Abutment-One Time (OAOT)”.

Lo realmente extraordinario de este software de diagnóstico y planificación es que en una sola imagen tenemos total control de la posición de nuestro implante y de nuestro pilar, en función del hueso de la encía y de la futura restauración. Por lo tanto vamos a realizar una implantología protética, y biológicamente guiada.

Planificación

Una vez tenemos todos los datos, decidimos como primera opción realizar una cirugía guiada post extracción con regeneración y carga inmediata.

Otra de las ventajas que nos ofrece el software de diagnóstico y planificación DTX StudioTM Implant es la posibilidad de diseñar una férula quirúrgica y exportarla con el fin de poder imprimirla de manera local y acortar así los tiempos de preparación.

A la hora de imprimir nuestra férula localmente, apostamos por utilizar la impresora SprintRay, que de manera muy fácil e intuitiva nos permite imprimir un sinfín de materiales de forma predecible, obteniendo resultados muy precisos y rápidos, es sin duda nuestra impresora de elección por tecnología y materiales.

Aparte de ello, la función TempShellTM nos permite también exportar el diseño de la futura restauración con el fin nuevamente de poder tener un provisional impreso preparado el día de la cirugía. Se trata sin duda de una revolución en cuanto al control de todos nuestros procesos, y en cuanto a eficiencia a la hora de preparar y realizar una cirugía tan compleja.

Cirugía

Con toda nuestra cirugía perfectamente diagnosticada y planificada solo nos queda ejecutarla. 1.- Quitamos la corona ferulizada.

EN IMPLANTOLOGÍA 20 eldentistamoderno mayo/junio 2024

2.- Extraemos de manera meticulosa la raíz del diente afectado.

3.- Legramos toda la zona del lecho implantario con el fin de poder eliminar cualquier resto de tejido de granulación.

4.- Desepitelizamos en margen gingival.

5.- Tunelizamos el defecto vestibular para alojar el injerto de tejido conectivo.

6.- Colocamos injerto de tejido conectivo.

7.- Interponemos membrana reabsorbible entre tejido conectivo y alveolo.

8.- Realizamos osteotomía mediante férula quirúrgica utilizando fresa piloto.

21 eldentistamoderno mayo/junio 2024

caso clínico

9.- Seguimos preparando el lecho utilizando fresado biológico con la OsseoShaperTM

10.- Colocamos implante Nobel Biocare N1TM TiUltra de 3,5x13.

11.- Observamos el torque obtenido de 50N por lo tanto podemos realizar carga inmediata.

12.- Colocamos aditamento N1TM Base XealTM con el fin de trabajar la prótesis a nivel gingivall.

13.- Colocamos pilar provisional.

14.- Rellenamos el gap con creos xenogainTM, compactando para que el hueso llegue lo más apical posible y cubra la superficie implantaria expuesta.

15.- Cortamos pilar provisional y adaptamos el TempShellTM con composite. Podemos comprobar la predictibilidad en cuanto a la posición 3D planificada de nuestro implante.

DIGITAL EN IMPLANTOLOGÍA 22 eldentistamoderno mayo/junio 2024
WORKFLOW

16.- Colocamos restauración provisional atornillada y fuera de oclusión y traccionamos hacia coronal de los tejidos.

Bibliografía

- Chen ST, Buser D. Esthetic outcomes following immediate and early implant placement in the anterior maxilla--a systematic review. Int J Oral Maxillofac Implants. 2014;29 Suppl:186-215. doi: 10.11607/jomi.2014suppl.g3.3. PMID: 24660198.

- Gómez-Meda R, Rizo-Gorrita M, Serrera-Figallo MA, Esquivel J, Herraez-Galindo C, Torres-Lagares D. Dimensional Changes in the Alveolus after a Combination of Immediate Postextraction Implant and Connective Grafting and/or Socket Shield Technique. Int J Environ Res Public Health. 2022 Feb 27;19(5):2795. doi: 10.3390/ijerph19052795.

17.- Verificamos nuestro tratamiento con CBCT.

Resultados

Tal vez no sea la primera opción para este tipo de casos con este tipo de defecto, pero debido a las circunstancias personales de nuestro paciente y gracias a nuestro diagnóstico y planificación tan detallados, así como por la ausencia de contratiempos durante el acto quirúrgico, hemos conseguido llevar a cabo un tratamiento bastante complicado en una zona de alto valor estético, utilizando un protocolo 100% digital y pudiendo imprimir a nivel local todos los elementos necesarios para hacerlo real.

Conclusiones

No podemos obviar las tecnologías que tenemos a nuestro alcance y cada uno es responsable de empujar hasta el límite que consideremos razonable. También es un gran error pensar que la tecnología sustituye al conocimiento, por lo tanto, tenemos que considerar todas estas herramientas como una ayuda en nuestro día a día que nos permite ser mucho más eficientes y predecibles siempre y cuando las utilicemos con sentido común. Por lo tanto, esta era que ya no es tan nueva ofrece un sinfín de ventajas para lo más importante que es nuestro paciente, pero también para el odontólogo que domina de antemano cualquier aspecto del tratamiento. 

PMID: 35270486; PMCID: PMC8910222.

- De Angelis N, Felice P, Pellegrino G, Camurati A, Gambino P, Esposito M. Guided bone regeneration with and without a bone substitute at single post-extractive implants: 1-year post-loading results from a pragmatic multicentre randomised controlled trial. Eur J Oral Implantol. 2011 Winter;4(4):313-25. PMID: 22282729.

- Liu R, Yang Z, Tan J, Chen L, Liu H, Yang J. Immediate implant placement for a single anterior maxillary tooth with a facial bone wall defect: A prospective clinical study with a one-year follow-up period. Clin Implant Dent Relat Res.

2019 Dec;21(6):1164-1174. doi: 10.1111/cid.12854. Epub 2019 Nov 11. PMID: 31709704.

- Jivraj S, Reshad M, Chee WW. Critical appraisal. Immediate loading of implants in the esthetic zone. J Esthet Restor Dent. 2005;17(5):320-5. doi: 10.1111/ j.17088240.2005.tb00138.x. PMID: 16225798.

- Rai S, Rai A, Kumar T, Kumari M, Somanna MK, Bandgar S. Immediately Loaded Single Unit Dental Implants: A Clinical Study. J Pharm Bioallied Sci. 2020 Aug;12(Suppl 1):S245S253. doi: 10.4103/jpbs.JPBS_72_20. Epub 2020 Aug 28. PMID: 33149465; PMCID: PMC7595488.

23 eldentistamoderno mayo/junio 2024

“PRETENDEMOS ACERCAR A NUESTROS SOCIOS LO MEJOR DE LA DIGITALIZACIÓN, LA PRÓTESIS Y LA ESTÉTICA MUNDIAL”

Dr. Rafael Martínez de Fuentes, presidente del 53º Congreso Anual de SEPES (10-12 de octubre, Sevilla), vicepresidente de SEPES y Profesor coordinador de Prótesis Estomatológica de la Universidad de Sevilla.

Bajo la motivación de trasmitir la utilidad práctica de los protocolos clínicos, la Sociedad Española de Prótesis Estomatológica y Estética (SEPES) ha diseñado para su 53º Congreso Anual –que se celebrará del 10 al 12 de octubre en Sevilla– un programa multidisciplinar e interdisciplinar en el que más de 80 ponentes de reconocido prestigio acercarán a los asistentes lo mejor de la digitalización, la prótesis y la estética mundial, tal y como nos avanza en esta entrevista el Dr. Rafael Martínez de Fuentes, presidente del 53º Congreso Anual de SEPES (10-12 de octubre, Sevilla), vicepresidente de SEPES y Profesor coordinador de Prótesis Estomatológica de la Universidad de Sevilla.

 DM.- La 53ª edición del Congreso Anual de la Sociedad Española de Prótesis Estomatológica y Estética (SEPES) se celebrará del 10 al 12 de octubre en Sevilla bajo el lema “Protocolos para la práctica clínica”. ¿Por qué han elegido este tema a la hora de diseñar el programa científico?

Dr. Rafael Martínez de Fuentes (Dr. R.M.F.).- La motivación ha sido la utilidad práctica que queremos que el programa transmita a los clínicos que asistan a las diferentes sesiones. El objetivo que hemos transmitido a los ponentes cuando les confiamos la labor de preparar sus presentaciones fue que tenían que compartir conocimientos y herramientas que fueran útiles y aplicables en el trabajo clínico del día a día. Tanto clínicos como docentes tenemos la sensación en muchas ocasiones de que nos sería útil disponer de guías de actuación que nos aporten la experiencia contrastada de diferentes

entrevista ENTREVISTA 24 eldentistamoderno mayo/junio 2024

expertos para los procedimientos clínicos diarios en nuestras consultas. Por ello, uno de los principales retos en el diseño del programa fue transmitir a los ponentes que sus presentaciones tenían que tener la utilidad de los procedimientos y la claridad del mensaje como requisitos inapelables.

 DM.- En este sentido, ¿de qué manera se aproximará el Congreso a esas guías de actuación a seguir por los profesionales para los procedimientos clínicos diarios en sus consultas?

Dr. R.M.F.- La distribución del programa en bloques temáticos acordes con las diferentes áreas de la odontología responde a la esencia multidisciplinar que tiene el congreso anual de SEPES y a la interdisciplinariedad por la que abogamos en los tratamientos clínicos y que fomentamos en todo nuestro programa formativo. Estos bloques temáticos serán el marco en el que las diferentes sesiones darán las pautas de cómo los profesionales de los diferentes campos toman las decisiones y ejecutan los tratamientos de rehabilitación oral hoy en día.

 DM.- ¿Cuáles serán los bloques temáticos principales en torno a los cuales ha sido diseñado el programa científico?

Dr. R.M.F.- Estos bloques corresponden a las áreas que en el día a día del trabajo clínico de un socio de SEPES influyen en su trabajo de diagnóstico, planificación, ejecución y seguimiento de un tratamiento rehabilitador completo. Estas áreas clínicas que articulan el programa son rehabilitación, prótesis, perio-pros/estética facial, neurociencia, clínico/técnico, endo-cirugía o digitalización.

La gestión de la clínica y los retos a los que nos enfrentamos en esta labor serán también una parte muy importante en el congreso y que desarrollaremos conjuntamente con la SEDAD. Por tanto, la gestión es otro de los bloques temáticos que incorpora el programa y que estamos seguros interesará mucho a los asistentes al congreso ya que, al fin y al cabo, además de dentistas somos empresarios y, por ello, debemos estar al día del momento innovador en el que se encuentra nuestra profesión también a nivel empresarial.

Higienistas y personal auxiliar tendrán también su espacio de conocimiento en una jornada completa en la que clínicos e higienistas impartirán un programa de ponencias en torno a temas como el blanqueamiento, los espacios interdentales y su

Los ponentes compartirán conocimientos y herramientas que serán útiles y aplicables en el trabajo clínico del día a día ”

importancia en la salud oral, el papel de los higienistas en el flujo digital, cómo pautar los intervalos de mantenimiento para cada paciente, etc.

 DM.- Como novedad el Congreso incluirá 4 eventos en 1: Simposio DDS, Simposio EPA, Curso 8h con el Dr. Pascal Magne y Congreso con ponentes nacionales e internacionales. ¿Qué les ha impulsado a introducir este nuevo modelo de evento? ¿En qué consistirá cada uno de estos eventos?

Dr. R.M.F.- Es un privilegio contar con los ponentes más emblemáticos de las dos sociedades más potentes que hay actualmente a nivel europeo, la DDS (Digital Dentistry Society) y la EPA (European Prosthodontic Association). Con la primera hemos establecido un convenio que nos impulsará para la realización de eventos conjuntos en el ámbito digital y con la EPA hace tiempo que tenemos proyectos, no en vano tanto el Prof. Pradíes como yo mismo somos miembros de su Junta Directiva. Con ello pretendemos acercar a nuestros socios lo mejor de la digitalización, la prótesis y la estética mundial. Es uno de los propósitos de la Junta Directiva así como también lo es dar a conocer a los profesionales de otros países de la Unión Europea, América o Asia la altísima calidad de la odontología española y en concreto de la prótesis y la estética que se realiza en nuestro país. Por ello y haciendo uso de las magníficas relaciones que SEPES mantiene con grandes entidades internacionales como son la Digital Dentistry Society DDS y la European Prosthodontic Association EPA, hemos incorporado a nuestro congreso la programación de dos grandes simposios sobre digitalización y prostodoncia en los que participarán prestigiosos expertos internacionales en estos campos. Además, y podríamos decir que como plato fuerte del congreso, el último día tendremos la oportunidad de asistir a un curso de 8 horas sobre actualización en restauraciones anteriores con resinas compuestas directas, CAD-CAM y restauraciones indirectas de cerámica que impartirá el prestigioso clínico sui-

25 eldentistamoderno mayo/junio 2024

Las áreas clínicas que articulan el programa son rehabilitación, prótesis, perio-pros/ estética facial, neurociencia, clínico/técnico, endo-cirugía o digitalización

” “

Tanto las conferencias como los talleres operados por la industria tendrán un carácter multidisciplinar pero siempre teniendo a la prótesis y la estética como eje temático

 DM.- ¿A qué profesionales animan desde SEPES a asistir al Congreso? ¿Qué les aportará su asistencia al 53º Congreso Anual de SEPES?

Dr. R.M.F.- Como decía anteriormente, el carácter multidisciplinar del programa hace que cualquier profesional de la odontología, sea cual sea su área clínica, encontrará suficientes motivos para inscribirse: una temática variada, un compromiso con la practicidad de los mensajes, el hecho de poder disfrutar de 4 eventos en 1 más 3 jornadas: la Jornada de Gestión con la SEDAD, Jornada Clínico-Técnico y Jornada de Higienistas. El congreso anual de SEPES es el reflejo del carácter abierto y acogedor que es la esencia de la Sociedad, del conjunto de nuestros socios. Una Sociedad absolutamente transversal.

 DM.- Para SEPES es muy importante el apoyo de la industria. ¿Qué papel tendrán las empresas del sector durante el Congreso? A día de hoy, ¿cuántas compañías han confirmado ya su participación en la zona expositiva?

zo-estadounidense Pascal Magne. Un ponente que no participa presencialmente desde hace años en Europa y sin lugar a dudas será un cierre de lujo para un gran congreso internacional. Tanto los dos simposios mencionados como el curso de Pascal Magne están incluidos en la inscripción general al congreso.

 DM.- El encuentro también albergará la celebración de conferencias y talleres. ¿Qué temáticas centrarán estos espacios?

Dr. R.M.F.- Tanto las conferencias como los talleres operados por la industria tendrán un carácter multidisciplinar pero siempre teniendo a la prótesis y la estética como eje temático. Veinticinco sesiones ofrecidas por la industria entre conferencias y talleres, así como la calidad de los ponentes que las impartirán, demuestran el gran interés que la industria deposita anualmente en el congreso de SEPES.

 DM.- Háblenos de los ponentes que participarán en esta próxima edición. ¿Qué expertos nacionales e internacionales participarán en SEPES Sevilla 2024?

Dr. R.M.F.- Serán más de 80 los ponentes que participarán en el congreso, resultaría largo enumerarlos aquí; decir que todos ellos son grandísimos profesionales con un prestigio que los avala para estar en un congreso de SEPES.

Dr. R.M.F.- El papel de la industria es fundamental, sin ella no sería posible organizar congresos de tal envergadura. Por otro lado, los congresos son para la industria una gran oportunidad para recibir a sus clientes, hacer otros nuevos y mostrar las novedades que están desarrollando. Por tanto, una simbiosis perfecta para un beneficio recíproco.

Más de 55 empresas del sector estarán presentes en la exposición comercial de SEPES Sevilla 2024.

 DM.- ¿Con qué previsión de asistencia cuentan para este Congreso?

Dr. R.M.F.- En el congreso SEPES Sevilla 2015, que tuve también el honor de presidir, conseguimos una cifra récord para aquellas fechas con 3.200 asistentes, récord de un congreso nacional con un impacto para la ciudad de 4 millones de euros.

En esta ocasión, a pesar de que desde la pandemia ha cambiado la dinámica de asistencia presencial a todo tipo de eventos por parte de los profesionales del sector, es nuestro propósito alcanzar aquella cifra y, si es posible, superarla.

No quería terminar esta entrevista sin dar las gracias a DM-Dentista Moderno por su constante apoyo al sector y especialmente a SEPES. Solo tengo palabras de agradecimiento, y ahora también hablo en clave personal desde hace muchos años para su directora, Emiliana Rodríguez, y para todo su equipo. 

ENTREVISTA 26 eldentistamoderno mayo/junio 2024
entrevista

Inscríbete

Sevilla 2024

Congreso Anual

10 - 12 de octubre

EPA-DDS Joint Meeting

Protocolos para la práctica clínica

CURSO 8 HORAS CON PASCAL MAGNE

Actualización en restauraciones anteriores con resinas compuestas directas, CAD/CAM y restauraciones indirectas de cerámica

+ Últimos avances en restauraciones no-crown.

+ Indicaciones de la odontología restauradora biomimética.

+ Restauraciones directas con resina compuesta y utilización de las resinas compuestas CAD/CAM para dientes anteriores.

+ Las claves del éxito de las restauraciones indirectas de cerámica.

Curso incluido en la inscripción general al congreso

al congreso completo

hasta el 30 DE JUNIO

con TARIFA REDUCIDA

LA INSCRIPCIÓN GENERAL AL CONGRESO INCLUYE TAMBIÉN:

• Simposio Digital Dentistry Society (DDS) del jueves

• Simposio European Prosthodontic Association (EPA) del viernes

• Jornada Multidisciplinar Clínico/Técnico del viernes*

• Jornada de dirección de clínicas dentales del sábado

• Simposio y talleres de industria de jueves, viernes y sábado

• Jornada de higienistas y auxiliares**

Consulta aquí el programa y las tarifas de inscripción

*Los técnicos de laboratorio que quieran asistir únicamente a esta jornada podrán hacer una inscripción independiente.

**Los higienistas y auxiliares que quieran asistir únicamente a esta jornada podrán hacer una inscripción independiente.

27 eldentistamoderno mayo/junio 2024
EPES

ENFOQUE DE EQUIPO EN ODONTOLOGÍA ESTÉTICA

A lo largo de este artículo comprobaremos cómo una correcta planificación digital puede ser clave para definir los objetivos del tratamiento y el manejo detallado de un caso complejo en pacientes con alta demanda estética.

Artículo cedido por el International Journal of Esthetic Dentistry de la editorial Quintessence Publishing

Uu Primera publicación:

Gil A et al. Team Approach in Esthetic Dentistry.

Int J Esthet Dent 2021;16:142–143.

u Contacto

Dr. Alfonso Gil alfonso.gil@zzm.uzh.ch

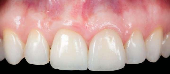
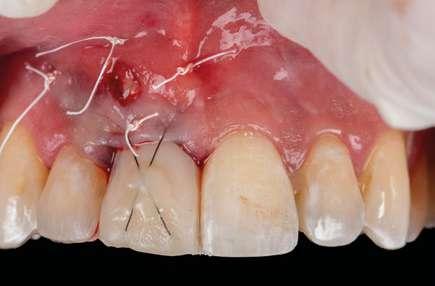
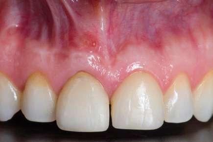
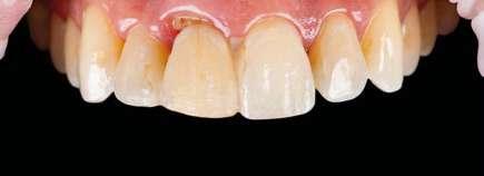
na paciente de 35 años (Figura 1) fue remitida a la Clínica de Odontología Reconstructiva de la Universidad de Zúrich debido a una infección crónica en el diente 11 y con expectativas estéticas muy altas. El diente 11 había sufrido un trauma hace 10 años y había sido tratado con multiple endodoncias sin éxito. El diente presentaba un absceso bucal (Figura 2), una bolsa periodontal aislado de 9 mm, y una ausencia de la tabla vestibular ósea (Figura 3). El diagnóstico se estableció como una fractura radicular vertical, lo que resultó en un pronóstico pobre. El plan de tratamiento consistió en una extracción combinada con preservación alveolar, colocación de implante diferido con injerto de tejido conectivo, una corona cerámica implantosoportada en 11 y una nueva carilla de cerámica para el diente 21.

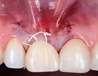
El diente 11 fue extraído (Figura 4), seguido por la preservación alveolar. Se realizó un injerto pediculado de espesor parcial rotado del paladar (Figura 5), junto con una membrana de colágeno reabsorbible, un xeno-injerto bovino y cianoacrilato sellando al alveolo (Figura 6). La provisionalización consistió en un puente adhesivo de resina con dos alas de metal. El alveolo se dejó cicatrizar durante 6 meses, después de los cuales se tomó una impresión digital así como un escáner CBCT (Figura 7). Se llevó

a cabo una planificación digital para una cirugía guiada de implante en una posición protéticamente ideal (Figura 8). El implante 11 se colocó completamente guiado a través de una férula (Figura 9). Las dimensiones del reborde alveolar eran ideales para la colocación del implante en una posición atornillada (Figura 10), al igual que la calidad del hueso cicatrizado. Un injerto de tejido conectivo subepitelial fue estabilizado ocluso-bucalmente al implante (Figura 11) y el puente adhesivo fue recementado (Figura 12). Después de 3 meses de cicatrización, se realizó una restauración provisional y se acondicionó adecuadamente para dar forma al perfil de emergencia, imitando el del diente adyacente (Figura 13). Después de una fase provisional, se tomó una impresión analógica individualizada para el implante 11 y el diente 21 (Figura 14). El laboratorio fabricó una corona implantosoportada de zirconio con cerámica estratificada para el 11 y una carilla laminada feldespática para el diente 21 (Figura 15). Ambas restauraciones fueron colocadas en la paciente y mantenidas. La paciente quedó muy satisfecha con el resultado estético de las restauraciones (Figuras 16, 17). Después de 2 años, el implante permanece saludable con el hueso marginal estable (Figura 18) y una buena calidad y cantidad de tejido blando.

caso clínicoODONTOLOGÍA ESTÉTICA 28 eldentistamoderno mayo/junio 2024
1 2

Alfonso Gil

USC Advanced Periodontology 2013-2016. UCLA Implantology Fellowship 2016-2017. PhD UIC 2019. UZH Prosthodontics and Dental Material Science 2017-2022. Editor Jefe IJED 2022.

Ronald Jung

Prof. Dr. med. dent., PhD. Specialist in Reconstructive Dentistry and Implantology, Swiss Society of Reconstructive Dentistry. Chairman of Reconstructive Dentistry, University of Zurich.

Christoph Hämmerle

Professor emeritus of Reconstructive Dentistry of the Center of Dental Medicine, University of Zurich, Switzerland. Certified in prosthodontics and periodontics. Specialist degree in implant dentistry of the Swiss Society of Odontology.

Pascal Müller

Master Dental Technician and Ceramist. Private laboratory in Zurich.

El “International Journal of Esthetic Dentistry” (IJED) es una revista científica de prestigio que se centra en el campo de la odontología estética y restauradora. Este journal académico ofrece a los dentistas, investigadores y especialistas en estética dental, un compendio riguroso de estudios de caso, investigaciones originales, revisiones sistemáticas y técnicas innovadoras que buscan mejorar los procedimientos y resultados estéticos en odontología. El IJED es reconocido por su enfoque en la excelencia clínica y la aplicación de los últimos avances científicos y tecnológicos en la práctica diaria, y es la revista oficial de la Academia Europea de Estética Dental (EAED). La revista promueve un enfoque multidisciplinar, integrando especialidades como la ortodoncia, periodoncia, implantología, y rehabilitación oral, para abordar de manera integral las necesidades estéticas dentales.

29 eldentistamoderno mayo/junio 2024
3 4 5 6 7 8

caso clínicoODONTOLOGÍA

Conclusiones

Una correcta planificación digital fue clave para definir los objetivos del tratamiento y el manejo detallado de un caso complejo en una paciente con alta demanda estética. Realizar la preservación alveolar para mejorar las dimensiones volumétricas antes de la colocación del implante facilitó una implantación

guiada sin necesidad adicional de aumento de cresta. La planificación digital con cirugía guiada permitió la implantación en una posición atornillada ideal. La fase de provisionalización consiguió dotar al perfil de emergencia de una apariencia estética y natural. Las dos restauraciones cerámicas resultaron simétricas y muy estéticas para una paciente satisfecha. 

ESTÉTICA 30 eldentistamoderno mayo/junio 2024
9 10 11 12 13 14 15 16 17 18

REHABILITACIÓN DE LA ARCADA

SUPERIOR CON UNA PRÓTESIS

REMOVIBLE UTILIZANDO CORONAS TELESCÓPICAS DE ZIRCONIA Y PEEK

El objetivo de este caso clínico es presentar una opción de tratamiento para la rehabilitación de una arcada completa con prótesis removible, retenida por coronas telescópicas de ZrO2 y PEEK, para un paciente sistémicamente comprometido.

Introducción

Las prótesis retenidas por fricción, conocidas como “coronas telescópicas”, han sido ampliamente documentadas demostrando alto éxito clínico a largo plazo. (1,2)

Se han realizado diferentes estudios con el fin de reemplazar el uso de metal en las coronas friccionales por el uso de materiales con mayor biocompatibilidad, mejor apariencia estética y altas fuerzas mecánicas, tales como la zirconia (ZrO2) y Polieteretercetona (PEEK). (3,4)

Wagner y col., han realizado diferentes estudios probando la fuerza de retención de estos materiales aplicando diferentes angulaciones a las paredes, igualmente han realizado pruebas de envejecimiento, gracias a las cuales han llegado a las conclusiones de que la elección del ZrO 2 para las coronas primarias y PEEK para coronas secundarias, pueden representar un éxito clínico a largo plazo. (5-7)

El objetivo de este caso clínico es presentar una opción de tratamiento para la rehabilitación de una arcada completa con prótesis removible, retenida por coronas telescópicas de ZrO2 y PEEK, para un paciente sistémicamente comprometido.

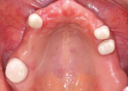
Presentación del caso

Paciente femenino de 61 años de edad, acude al Posgrado de Prostodoncia e Implantología de la Universidad de la Salle Bajío remitida por su médico general del Seguro Social para saneamiento y rehabilitación de su condición oral. La paciente es

no fumadora y refiere antecedentes de adenocarcinoma, quimioterapia, osteoporosis y la indicación de administrar bifosfonatos intravenosos. A pesar de sus antecedentes, su médico consideró pertinente realizar su tratamiento dental.

Entre otros datos importantes, su historia clínica menciona que hace 40 años presentó gastritis y colitis. En 1984 tuvo cirugía de cornetes por sinusitis y en 1999, histerectomía por miomas. En 2010 se diagnosticó cáncer de colon (adenocarcinoma) y estenosis intestinal, tratada quirúrgicamente con resección de intestino grueso. En 2015 padeció de obstrucción intestinal por bridas, durante la cirugía se presentó un cuadro de septicemia debido a una complicación y paro respiratorio, lo cual dejó como secuela miopatía, por lo que aún continua en rehabilitación.

Diagnóstico

Al examen físico, extraoralmente la paciente no presentaba ninguna anomalía, agrandamiento o signo importante de algún problema clínico. Intraoralmente se encontraba sana peridontalmente, sin embargo, presentaba caries y restauraciones de amalgama con filtración en el sector postero superior y postero inferior. Se observaba una prótesis fija de 5 unidades en sector anterosuperior con desajuste y fractura de muñones.

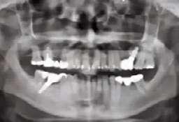
Se llevó a cabo el protocolo convencional de radiografías periapicales y radiografía panorámica, en las cuales se observó el desajuste y la fractura de los muñones anterosuperiores.

caso clínicoPRÓTESIS 32 eldentistamoderno mayo/junio 2024

Plan de tratamiento

Basándonos en el examen clínico y radiográfico, se opta por retirar la prótesis fija superior y realizar las extracciones de los dientes fracturados, así como la eliminación de caries y cambio de amalgamas. Se realiza fase de saneamiento eliminando caries y restauraciones defectuosas, dando lugar así a un edentulismo parcial de la arcada superior (Fig. 1a, 1b). Después de efectuar el diagnóstico y anamnesis se decide no colocar implantes y hacer una prótesis removible retenida por coronas telescópicas friccionales.

Tratamiento

Se comienza el caso elaborando un enfilado dental a manera de maqueta para llevar a cabo la evaluación de la futura dimensión vertical planificada y con ello, el desgaste a realizar para que los órganos dentales reciban las coronas primarias que serán elaboradas en ZrO2 (Prettau® 2 Dispersive®, Zirkonzahn Worldwide). Las preparaciones de las coronas prima-

ras nos proporcionaban 1 mm de espacio protésico para poder otorgarles el grosor necesario y así evitar la posibilidad de algún daño biológico (Fig. 2a). Una vez realizadas las preparaciones, se procede a tomar impresión fisiológica con técnica de doble hilo a un tiempo, con material de polivinilsiloxano (Virtual, Ivoclar Vivadent) (Fig. 2b).

Después de preparar los modelos fisiológicos en los que se realizará el trabajo final, se procedió a la toma de registros intermaxilares para obtener la relación céntrica, utilizando una base de acrílico y los registros de cera, logrando determinar de esta manera la dimensión vertical deseada (Fig. 2c).

Fase técnica

Se envía el modelo de trabajo articulado al laboratorio, se diseñan y elaboran las coronas primaras de ZrO2 con una angulación en sus paredes de 4 grados con el fin de obtener, no solo una buena retención, sino también una buena pasividad.

Eric Sánchez-Alonso

Professor Universidad De La Salle Bajío. School of Dentistry. León, Guanajuato, México.

Luis Lomas-Symonds

Professor, Universidad De La Salle Bajío. School of Dentistry. Postgraduate in Prosthodontics and Implantology, León, Guanajuato, México.

33 eldentistamoderno mayo/junio 2024
1a
José C. Alva-Manríquez Resident, Universidad De La Salle Bajío, School of Dentistry. Postgraduate in Prosthodontics and Implantology.
1b 2a 2b

caso clínico

Las coronas secundarias que irán dentro de la prótesis removible fueron fabricadas con PEEK (Tecno Med, Zirkonzahn Worldwide) (Fig. 2d).

Se realizó la prueba de éstas intraoralmente para confirmar la pasividad y se observa, que no solo se logró una buena pasividad, sino también una excelente integración a los tejidos blandos (Fig. 3a y 3b).

Se enviaron de nuevo las coronas al laboratorio para elaborar la dentadura en Cromo Cobalto donde se confeccionó un rodillo de cera para realizar el enfilado de los dientes anteriores (Neo.lign®, Bredent) (Fig. 3c).

Terminado el enfilado y después de una última prueba en cera, se envía el trabajo al laboratorio para procesar la estructura final, la cual se fabrica en acrílico de alto impacto y se pule al alto brillo (IvoBase System, Ivoclar Vivadent) (Fig. 3d).

Se cementan las coronas primarias siguiendo el concepto APC(8) y se coloca la prótesis a la paciente obteniendo excelente retención y pasividad. Se ajusta la oclusión y se le indican las técnicas de higiene y mantenimiento de la prótesis (Fig. 4a).

Después de un año en funcionamiento y de seguimiento, la paciente se presenta asintomática. Los

PRÓTESIS 34 eldentistamoderno mayo/junio 2024
2c 2d 3a 3b 3c 3d

estudios radiográficos han demostrado buen mantenimiento periodontal de los dientes pilares. La paciente refiere sentirse cómoda con su prótesis, tener buena función y una estética agradable (Fig. 4b).

Discusión

Las prótesis removibles con coronas telescópicas han sido ampliamente documentadas en los últimos años. Muchos estudios han demostrado tener una buena tasa de éxito y de supervivencia. Los materiales que comúnmente se documentan en este tipo de casos para realizar coronas telescópicas, son el cromo-cobalto o el oro, sin embar-

go, los nuevos materiales como la zirconia y el PEEK, han demostrado tener mejores índices de biocompatibilidad así como también menor retención de placa.

Conclusión

El reporte de este caso nos arroja un éxito clínico para la rehabilitación de arcada completa para una paciente comprometida sistémicamente. Es fundamental realizar siempre el seguimiento de los casos, así como también estudios longitudinales que puedan avalar el éxito clínico a largo plazo, utilizando coronas telescópicas de zirconia y PEEK. 

Bibliografía

1. Schwindling FS, Dittmann B, Rammelsberg P. Double-crown–retained removable dental prostheses: A retrospective study of survival and complications. The Journal of prosthetic dentistry. 2014 Sep 1;112(3):488-93.

2. Yoshino K, Ito K, Kuroda M, Sugihara N. Survival rate of removable partial dentures with complete arch reconstruction using double crowns: a retrospective study. Clinical oral investigations. 2020 Apr;24(4):1543-9.

3. Sax, C.; Hämmerle, C.; Sailer, I. 10-year clinical outcomes of fixed dental prostheses with zirconia frameworks. Int. J. Comput. Dent. 2011, 3, 183–202.

4. Liebermann A, Wimmer T, Schmidlin PR, Scherer H, Löffler

P, Roos M, Stawarczyk B. Physicomechanical characterization of polyetheretherketone and current esthetic dental CAD/CAM polymers after aging in different storage media. J Prosthet Dent. 2016 Mar;115(3):321-8.e2. doi: 10.1016/j.prosdent.2015.09.004.

5. Wagner C, Stock V, Merk S, Schmidlin PR, Roos M, Eichberger M, Stawarczyk B. Retention Load of Telescopic Crowns with Different Taper Angles between Cobalt ‐ Chromium and Polyetheretherketone Made with Three Different Manufacturing Processes Examined by Pull ‐ Off Test. Journal of Prosthodontics. 2018 Feb;27(2):162-8.

6. Merk S, Wagner C, Stock V, Eichberger M, Schmidlin PR, Roos M, Stawarczyk B. Suitability of secondary PEEK telescopic crowns on zirconia primary crowns: the influence of fabrication method and taper. Materials. 2016 Nov;9(11):908.

7. Merk S, Wagner C, Stock V, Schmidlin PR, Roos M, Eichberger M, Stawarczyk B. Retention Load Values of Telescopic Crowns Made of Y-TZP and CoCr with Y-TZP Secondary Crowns: Impact of Different Taper Angles. Materials (Basel). 2016 May 11;9(5):354.

8. Blatz MB, Alvarez M, Sawyer K, Brindis M. How to bond zirconia: the APC concept. Compend Contin Educ Dent. 2016 Oct 1;37(9):611-8.

35 eldentistamoderno mayo/junio 2024
4a 4b

jóvenes talentos

“EL FUTURO DE LA PROFESIÓN ES LA ESPECIALIZACIÓN”

Dr. Ignacio Pedrinaci Peñalver, especialista en Periodoncia e Implantes y profesor en el Máster de Periodoncia de la UCM y Harvard University

Procedente de una familia de médicos y apasionado por “todo lo que tenga que ver con lo digital”, el Dr. Ignacio Pedrinaci Peñalver, especialista en Peridoncia e Implantes y profesor en el Máster de Periodoncia de la UCM, nos relata en esta entrevista su experiencia formativa tanto en España como en el extranjero. Además de trabajar junto a sus padres en el Centro Odontológico Granada, el Dr. Pedrinaci es discípulo del Prof. Dr. Mariano Sanz, de quien habla como una figura “muy influyente” en su carrera, además de haber creado conjuntamente una conexión UCM-Harvard que ambos mantienen activamente con visitas y colaboraciones científicas.

 DM.- La vocación por la Odontología le viene de familia. ¿Qué fue lo que realmente le impulsó a dedicarse a esta profesión?

Dr. Ignacio Pedrinaci Peñalver (Dr. I.P.P.).- Esta pregunta es muy interesante para comenzar. Siempre me ha llamado la atención cómo definimos qué es la vocación. ¿Acaso tenemos solo una vocación en la vida? ¿Van cambiando a lo largo del tiempo? En mi caso, mi “vocación” siempre ha sido la salud, ayudar a la gente de mi entorno de alguna forma u otra. Cuando era adolescente, solía contribuir activamente en ONGs. Vengo de una familia de médicos. Mi abuelo tenía una clínica pediátrica dentro de su propia casa y recuerdo jugar allí cuando no había pacientes. Supongo que, en mi caso, haber estudiado Odontología es consecuencia de un cúmulo de cosas. Este interés por la salud, ayudar y ver a mis padres hablar de medicina y odontología en casa desde que era un niño.

 DM.- Usted inició sus estudios en la Universidad de Granada, donde se licenció en Odontología, para luego especializarse en Periodoncia e Implantes en la Universidad Complutense de Madrid (UCM). Teniendo en cuenta su experiencia, ¿cómo catalogaría la formación impartida en España?

Dr. I.P.P.- Me han preguntado con respecto a esta cuestión repetidamente desde mi vuelta de Estados Unidos. Suelo resumirla de manera sencilla. En España, tenemos profesionales, educadores y dentistas de primer nivel a nivel mundial. Sin duda. Además, contamos

ENTREVISTA 36 eldentistamoderno mayo/junio 2024
Conseguir la Beca de ITI en Harvard University ha sido uno de mis mayores logros y de los que me siento más orgulloso hasta el día de hoy ”

con un sistema público educativo que permite estudiar a un costo “ridículo” (o nulo en comparación con EE. UU.). Sin embargo, pienso que todo lo público tiene sus ventajas e inconvenientes, siendo estos últimos un déficit en instalaciones, materiales y servicios en comparación con un sistema totalmente privatizado como el norteamericano. Me siento orgulloso de haber estudiado en España. Creo que fomenta el crecimiento personal del estudiante al tener que buscar soluciones donde no te lo dan todo hecho, preparado y fácil.

 DM.- ¿Considera que la especialización es un requisito indispensable para el éxito profesional en nuestro país?

Dr. I.P.P.- Sin duda. Sin embargo, cabe destacar que, por desgracia, las especialidades no están reconocidas como tal en nuestro sector. La formación norteamericana puede ser más deficiente a nivel de grado, pero es cierto que un odontólogo deriva (o contrata en su clínica) a un especialista para poder tratar todas esas cosas que se escapan de sus capacidades. En España ocurre lo contrario, he visto que muchos colegas se definen como especialistas y solo han hecho algún curso de fin de semana. Nadie deriva a especialistas y esto es triste porque olvidamos que nuestra labor como profesionales es ayudar al paciente y no tratar a clientes.

 DM.- Ha sido usted premiado por la empresa Proclinic con una de sus becas y por la Federación Iberoamerica de Periodoncia (FIPP) por un estudio de investigación realizado en la Facultad de Odontología de la UCM, además de ser finalista en la Liga SEPA ‘H Generation’ 2020 de la Sociedad Española de Periodoncia y Osteointegración (SEPA). ¿Qué significan para usted estos reconocimientos y cómo han influido en su trayectoria?

Dr. I.P.P.- Para mí, el mayor valor de estos premios es un reconocimiento al esfuerzo y al interés por intentar hacer las cosas de la mejor manera po-

sible, persiguiendo siempre la excelencia. No los entiendo como un mérito académico o reconocimiento intelectual propio. De hecho, la mayor parte de estos premios son el resultado de un trabajo en equipo, en mi caso, de mis profesores, mentores y compañeros de especialización de la UCM, a los que aprovecho para agradecer públicamente por sus contribuciones en mi carrera profesional y vida. Son pequeñas metas que ayudan a superarnos, a esforzarnos por ser mejores y cambiar las cosas. Siempre he sido una persona ambiciosa a la que le gustan los retos y luchar por conseguir estos premios me motivaba y daba energías para trabajar. No puedo terminar sin agradecer a las organizaciones por las que me pregunta, ya que también me han ayudado económicamente y me han permitido ser independiente económicamente sin tener que trabajar y poder centrarme en mis estudios e investigaciones.

 DM.- Además, en el año 2020 consiguió una beca internacional en la Escuela de Odontología – Harvard School of Dental Medicine (HSDM) de la Universidad de Harvard. ¿Qué ha supuesto para usted convertirse en el primer y único español en obtener la beca en este destino?

Dr. I.P.P.- Conseguir la Beca de ITI en Harvard University ha sido uno de mis mayores logros y de los que me siento más orgulloso hasta el día de hoy.

37 eldentistamoderno mayo/junio 2024
El Dr. Ignacio Pedrinaci, junto al Dr. German Gallucci.

jóvenes talentos

Sin duda, ha tenido un impacto incomparable en todos los aspectos de mi vida, personal y profesionalmente. He estado expuesto a una filosofía de vida y trabajo completamente distinta a la que tenemos en Europa y España, rodeado de un ambiente totalmente potenciador y único en el mundo que ha sacado lo mejor de mí. Es muy interesante entender Harvard University como un “hub” de personas que no solo destacan por sus aptitudes, sino sobre todo por su ambición y actitud ante el desarrollo profesional. Este motivo es el que las ha llevado a esta institución. Si a esto añades una multiculturalidad, diferentes idiosincrasias e idiomas, lo hacen ser sin duda una situación única en el mundo.

 DM.- Después de haber vivido esta experiencia, ¿qué diferencias aprecia entre la formación en Estados Unidos frente a la que se imparte en nuestro país?

Dr. I.P.P.- De nuevo me reitero en la comparación del sistema capitalista y privado, donde las personas que estudian tienen gran interés por estar allí, ya sea porque pagan o porque han conseguido una beca, frente a un sistema público donde prácticamente no hay que pagar y muchos estudiantes no están lo suficientemente motivados. Sin olvidar la implicación que tiene el aporte económico en instalaciones y servicios.

 DM.- Tras disfrutar de la beca, usted fue contratado por la HSDM como investigador asociado a tiempo completo. ¿En qué campos de interés se centraron sus investigaciones allí?

Dr. I.P.P.- Así es, fueron más de dos cursos académicos extras en los que alargué mi estancia en Boston tras terminar mi beca como contratado por la universidad. Mis investigaciones se centraron en la utilización de tecnología digital en su aplicación para los implantes dentales y el autotransplante dental, particularmente el uso de Inteligencia Artificial. Esta última aplicación es un tema que me apasiona y fruto de mi tesis doctoral, la cual estoy cerca de terminar con Mención Internacional (UCM-Harvard) y doble mentoría de dos grandes referencias mundiales en nuestro campo como son el Dr. Sanz en Madrid y el Dr. Gallucci en Boston. Precisamente, este mes estamos recogiendo los frutos de dicho trabajo de investigación en forma de publicaciones científicas que ya se han terminado, escrito y aceptado por varias revistas científicas de alto impacto. Han sido años realmente productivos dando lugar a más de 10 artículos científicos y participaciones como ponente en charlas a nivel nacional e internacional.

 DM.- En nuestro país continuará su labor investigadora junto con el Prof. Dr. Mariano Sanz. ¿En qué proyectos de investigación está inmerso actualmente? Y ¿qué significa para usted la figura del Prof. Dr. Mariano Sanz?

Dr. I.P.P.- Actualmente ejerzo como profesor en el Máster de Periodoncia de la UCM que dirige el Dr. Sanz, quien para mí es una figura que significa disciplina, humildad y trabajo. Es sin duda uno de los dentistas más influyentes en el mundo, con total merecimiento. Personalmente he tenido mucha suerte de poder ser uno de sus discípulos y que haya confiado en mí desde un inicio. Es más sencillo aprender a escribir verso si tu maestro es F. García-Lorca que tan solo leyendo poesías. Él siempre me ha dado la oportunidad de desarrollar mis proyectos, investigaciones científicas y procedimientos quirúrgicos, a pesar de que algunos de ellos eran algo arriesgados como autotransplantar dientes o solicitar mi beca a Harvard. Sin duda, es la figura más influyente en mi carrera como periodoncista y ahora hemos podido crear esta conexión UCM-Harvard que mantenemos activamente con visitas y colaboraciones científicas.

ENTREVISTA 38 eldentistamoderno mayo/junio 2024

 DM.- En líneas generales, ¿qué campos de la Periodoncia e Implantes le interesan más a la hora de investigar? ¿Por qué?

Dr. I.P.P.- Todo lo que tenga que ver con lo digital, especialmente en la planificación. Estoy convencido de que algunas cosas que se hacían hace 50 años en medicina o en nuestra profesión pueden seguir funcionando; sin embargo, la aplicación de la tecnología digital incrementa la predictibilidad, seguridad y éxito de nuestros tratamientos. Además, permite dar un servicio personalizado a los pacientes y, en muchas ocasiones, menos invasivo, reduciendo así el tiempo quirúrgico. Además, disfruto enormemente de las imágenes de estudio que tenemos hoy en día gracias a los escáneres de alta definición y software de planificación virtual con IA. Ya tenemos al “paciente digital” en nuestras manos y esto no ha hecho más que empezar. La realidad aumentada será el siguiente paso, y no estamos lejos.

 DM.- En enero de 2021 se incorporó al equipo de especialistas de la segunda generación de dentistas de la familia en el Centro Odontológico Granada. ¿Qué es lo que más le apasiona del trabajo clínico con los pacientes? ¿Y qué le aporta trabajar en la clínica junto a sus padres, el Dr. Enrique Pedrinaci y la Dra. Mª Angustias Peñalver?

Dr. I.P.P.- Trabajar en la clínica con mis padres es uno de los mayores lujos que tengo hoy en día. Personalmente, y a pesar de mi trayectoria actual, disfruto

El Dr. Mariano Sanz es para mí una figura que significa disciplina, humildad y trabajo. Es sin duda uno de los dentistas más influyentes en el mundo, con total merecimiento ”

mucho del trato directo con el paciente. La humanidad de mis padres (médicos estomatólogos) ha influido en mí un trato familiar y también me ha permitido crear una gran empatía con el paciente. Es muy satisfactorio dar salud, ayudar, mejorar la calidad de vida de las personas. Particularmente, es un placer trabajar en esta clínica que lleva más de 40 años dando un servicio familiar, cercano y personalizado, a diferencia de otros centros o universidades donde sientes que los pacientes no confían en ti. Aquí llegas a empatizar con ellos de manera única y el resultado de tu trabajo es más satisfactorio al ver que has ayudado a un “amigo”. Además, trabajar junto a mis padres me sigue aportando mucho, aunque ninguno de ellos haya realizado mi especialidad. Sin embargo, sigo aprendiendo día a día de ellos en otras áreas; en el manejo del paciente, dirección de clínica, relaciones laborales, etc.

39 eldentistamoderno mayo/junio 2024
Los Dres. Mariano Sanz e Ignacio Pedrinaci.

jóvenes talentos

 DM.- Recientemente ha participado en la primera “Jornada Empresa-Universidad. Doctorado Industrial” organizada por la Facultad de Odontología de la UCM. En su opinión, ¿cuáles son las ventajas de hacer un Doctorado Internacional?

Dr. I.P.P.- Significa enriquecerse con el aporte científico de otras culturas y otros modos de investigar, diferentes materiales, protocolos de investigación, etc. En mi caso, tuve esa primera oportunidad en Oslo (Noruega) durante mi estancia del Erasmus+ cursando mis estudios de grado. Experiencia que recomiendo encarecidamente realizar a todos los estudiantes en formación. Posteriormente, con la beca ITI. Para mí es muy importante salir de nuestro círculo y ver las cosas con perspectiva. Entender otras formas de pensar, trabajar y vivir.

 DM.- Como especialista en Periodoncia e Implantes, ¿cuál es su opinión sobre la situación de esta especialidad en nuestro país?

Dr. I.P.P.- Es una pena, pero actualmente ni siquiera podemos llamar a esto una especialidad en nuestro país. Se está luchando por el reconocimiento de las diferentes especialidades en la odontología en España, pero parece que será un camino largo. La periodoncia tiene una prevalencia más elevada

Hacer un Doctorado Internacional significa enriquecerse con el aporte científico de otras culturas y otros modos de investigar, diferentes materiales, protocolos de investigación, etc. ”

de lo que la población (y algunos colegas) piensan. Igualmente, los implantes dentales conllevan a enfermedades peri-implantarias cada vez más prevalentes y conocidas por dentistas y pacientes. Idealmente, éstas son prevenibles mediante un correcto diagnóstico y planificación de los casos, ahorrando así futuros problemas para los pacientes. Por suerte, cada vez estas patologías son mejor diagnosticadas en nuestro medio y los tratamientos son más efectivos, gracias a la investigación y desarrollo que han realizado compañeros especialistas en el campo.

 DM.- Si tuviera enfrente a un odontólogo que quisiera especializarse en Periodoncia e Implantes, ¿qué consejos le daría?

Dr. I.P.P.- Que lo hagan de la mejor forma posible, con una dedicación completa a la especialidad que hayan elegido y buscando la excelencia. Pero que, aún así, no se olviden de leer, escuchar y saber de otras especialidades para aprender a derivar o actuar como es adecuado. No olvidemos que el sistema estomatognático es una unidad interconectada y que tratamos pacientes, no dientes.

 DM.- En su opinión, ¿qué futuro les depara a los jóvenes odontólogos españoles?

Dr. I.P.P.- El futuro de los odontólogos es incierto debido a la plétora de profesionales que existe actualmente en España y si seguimos en esta progresión, será en detrimento de todos. Personalmente pienso que, al igual que ocurre en las demás profesiones sanitarias, el futuro es la especialización. Los buenos especialistas siempre son reconocidos por los usuarios y además dignifican nuestra profesión. 

ENTREVISTA 40 eldentistamoderno mayo/junio 2024

ZIRCONIA PRETTAU®

HECHA CON ORGULLO

Sin la zirconia no habría Zirkonzahn. Profundamente convencido de las propiedades de este material, decidí sacar lo mejor de él para nosotros los protésicos dentales. Tomó mucho más tiempo de lo que yo pensaba inicialmente: desde seleccionar materias primas de alta calidad hasta desarrollar costosos procesos de producción y depuración, conceptos de coloración, instrumentos de elaboración, hornos de sinterización, estrategias de fresado manuales y posteriormente digitales así como técnicas de trabajo ... siempre buscando nuevas y mejores soluciones. ¡Nunca nos dimos por vencidos! Todo fue estudiado hasta el último detalle y luego ensamblado para crear nuestra zirconia Prettau®, como si se tratara de un gran rompecabezas. Prettau®, un nombre profundamente ligado al Sudtirol, mi tierra natal. Un compromiso y una promesa: el camino de Prettau® los lleva a la dirección del diseño monolítico. La zirconia es y seguirá siendo, nuestra pasión y nuestro orgullo. ¡Pueden contar con ellos!

Atentamente, Enrico Steger

PRETTAU® Translucidez

Resistencia a la flexión

Sin dispersión del color

PRETTAU® 2 DISPERSIVE® Translucidez

Resistencia a la flexión

Con dispersión del color

PRETTAU® 3 DISPERSIVE® Translucidez

Resistencia a la flexión

Con Gradual-Triplex-Technology*

PRETTAU® 4 ANTERIOR® Translucidez

Resistencia a la flexión

Sin dispersión del color

PRETTAU® 4 ANTERIOR® DISPERSIVE® Translucidez

Resistencia a la flexión

Con dispersión del color

*Gradual-Triplex-Technology: La zirconia ya está provista de gradientes de color, translucidez y resistencia a la flexión durante el procesode producción. Esto asegura una coloración natural, un borde incisal muy translúcido y una resistencia a la flexión extremadamente alta en la región cervical del diente.

41 eldentistamoderno mayo/junio 2024 Zirkonzahn Ibérica – T +34 937 290 390 – iberica@zirkonzahn.com – www.zirkonzahn.com Zirkonzahn Worldwide – T +39 0474 066 680 – info@zirkonzahn.com – www.zirkonzahn.com
Enrico y Julian Steger ¡NUEVO!
ESCANEA PARA VER TODOS LOS TIPOS DE ZIRCONIA PRETTAU ® r.zirkonzahn.com/apl

TODO LO QUE NECESITAS

SABER SOBRE

EL NUEVO ESCÁNER INTRAORAL MEDIT I900

Medit, una de las principales empresas en odontología digital, ha presentado recientemente su último producto, el escáner intraoral Medit i900. Dado el interés significativo entre los dentistas en esta nueva oferta, hay un creciente deseo de recibir comentarios auténticos basados en experiencias reales. El Dr. Al-Hassiny ofrece en este artículo una revisión integral del Medit i900, abordando varias preguntas e inquietudes que los dentistas pueden tener en el campo.

He estado probando la versión beta de este escáner antes de su lanzamiento, y ahora ha llegado el momento de compartir toda la información sobre el nuevo Medit i900. ¿Cómo se compara este escáner con otros escáneres de Medit y qué nuevas características se incluyen?

LAS NUEVAS CARACTERÍSTICAS DEL MEDIT i900

w Tamaño y peso significativamente reducidos

El Medit i900 se destaca por su diseño notablemente ligero, con un peso de solo 165 gramos. Esto lo hace casi la mitad del peso del i700 y más ligero que smartphones populares como el iPhone 15 Pro Max.

En comparación con otros escáneres en el mercado, como el TRIOS 5, CEREC Primescan y Aoralscan 3, el i900 es una de las opciones más ligeras disponibles. Este énfasis en la reducción de tamaño y peso mejora la facilidad de uso tanto para los clínicos como para sus equipos, haciendo que los escaneos de los pacientes sean más manejables y cómodos.

w No hay necesidad de preocuparse por la carga de la batería

Otro aspecto sorprendente es que el Medit i900 es un escáner con cable. Para lograr un diseño ligero y compacto, han elegido una configuración de escáner con cable. Al eliminar los componentes necesarios para una configuración inalámbrica, Medit ha seguido un método de conexión similar al visto con el i600 y el i700: un solo cable conectado a la computadora portátil que alimenta el escáner. Medit ha declarado que han mejorado este cable para aumentar su durabilidad.

publirreportaje MEDIT 42 eldentistamoderno mayo/junio 2024
Este artículo ha sido escrito por el Dr. Al-Hassiny.

w Un diseño que combina funciones: diseño unibody y simétrico

El Medit i900 tiene un nuevo diseño ‘unibody’, lo que significa que está hecho de una sola pieza, sin juntas. Esto facilita la limpieza y el mantenimiento. Una tendencia que estamos viendo en toda la industria. Además, su forma simétrica permite a los usuarios sostenerlo como deseen, lo que lo hace fácil y cómodo de sostener de casi cualquier manera. Este diseño también distribuye el peso de manera uniforme, haciendo que el escaneo sea más cómodo. En general, ha sido fácil de usar para todo mi personal clínico.

w ¿Dónde están los botones del escáner?

Las nuevas interfaces táctiles

Una innovación importante en el Medit i900 es la introducción de interfaces táctiles, que reemplazan los botones tradicionales. Ahora, los usuarios interactúan con el escáner a través de tres áreas de interfaz táctil ubicadas en su cuerpo.

Las tres interfaces táctiles son las siguientes:

 Banda táctil: se utiliza para iniciar y detener el proceso de escaneo, así como para navegar a través del flujo de trabajo deslizándola.

 Panel táctil: un panel táctil cuadrado se utiliza para orientar y ver los escaneos.

 Botón de menú: se utiliza para cambiar la acción del panel táctil.

Estas interfaces táctiles son una característica interesante e innovadora. Es agradable ver a la empresa intentando hacer algo nuevo en el mercado. Personalmente, encontré que la banda táctil es altamente receptiva y efectiva para iniciar y detener el proceso de escaneo de manera fluida. El escáner prioriza las reacciones y retroalimentaciones inmediatas, con háptica en tiempo real y una luz LED en la parte posterior que proporciona indicaciones instantáneas durante todo el proceso de escaneo.

w Nuevo motor óptico

Medit también ha introducido un nuevo motor óptico para el i900, marcando su tercera generación. Según la compañía, la actualización mejora la velocidad de escaneo y la profundidad de campo. En mi experiencia, el escáner funcionó muy bien. Es otro escáner rápido de Medit, aunque debo señalar que el i700 y el i600 ya ofrecen un excelente rendimiento. Todos son escáneres rápidos. En cuanto a la profundidad de campo, la probé usando un modelo de muñón de metal y lo comparé con otros escáneres. Encontré que el i900 captura rápidamente la profundidad final del orificio del muñón sin encontrar ninguna desconexión durante el escaneo. En conclusión, mis impresiones iniciales del Medit i900 son muy positivas. Esto es lo que hemos llegado a esperar de la empresa. Este escáner intraoral ofrece velocidades de escaneo rápidas con un cuerpo ligero. Es una excelente solución de escaneo intraoral, que permite un rendimiento sin problemas en varias aplicaciones dentales para los clínicos. Medit también es famosa por sus aplicaciones de software de escaneo que se incluyen de forma gratuita. El cambio de los botones de escaneo a interfaces táctiles es un movimiento interesante por parte de la empresa que intenta innovar en un mercado de escáneres sumamente concurrido. 

Para aquellos interesados en conocer más sobre el Medit i900, no duden en visitar su sitio web y solicitar una demostración. www.medit.com

43 eldentistamoderno mayo/junio 2024

TODO LO QUE PUEDES IMPRIMIR EN UN DÍA DE TRABAJO

La impresión 3D con resina ha revolucionado la odontología moderna, permitiendo a los dentistas fabricar una amplia gama de dispositivos y modelos de manera eficiente y precisa. En este artículo, exploramos en detalle las posibilidades de impresión con resina utilizando por ejemplo el sistema SprintRay, abordando sus aplicaciones clínicas, ventajas económicas y el papel del personal auxiliar en la implementación y optimización de este proceso en la clínica dental (Ilustración 1).

u Contacto www.dentinova.es

¿Qué me ofrece la impresión 3D dentro del flujo digital?

La tecnología de impresión 3D con resina se ha consolidado como una herramienta indispensable en el arsenal de cualquier odontólogo moderno. Con el advenimiento de sistemas avanzados como SprintRay, nosotros los dentistas podemos ofrecer un cuidado más personalizado y eficiente a nuestros pacientes,

al tiempo que mejoramos la rentabilidad y la diferenciación de otras clínicas dentales que aún siguen con el sistema analógico. Si hacemos una comparación entre el sistema analógico y el digital en un cuadro podemos ver la cantidad de pasos que siempre hemos realizado con el sistema tradicional analógico en comparación con el mundo del flujo digital.

PROCESO ANALÓGICO PARA ESTRUCTURA DENTARIA

flujo digitalIMPRESIÓN 3D 44 eldentistamoderno mayo/junio 2024
1

En cambio, si lo comparamos con el proceso digital podemos reducir notablemente los pasos aun teniendo relación con un laboratorio digitalizado.

DIGITAL WORKFLOW

De más está decir que desde que estamos trabajando con la solución Crown Kit de SprintRay imprimimos en sólo 15 minutos una corona y hasta 15 unidades posibles para que pueda ser entregados en la misma visita dependiendo del diámetro y posición en la plataforma. Ver artículo: https://dental3dprintingmagazine.dental-tribune.com/e-paper/

¿Qué implica entonces poder imprimir?

Si bien el proceso de impresión es una curva de aprendizaje, el sistema SprintRay (llamado sistema porque implica una serie de procesos protocolari-

zados) permite que, una vez aprendido tanto por el profesional odontólogo o protésico así como por el personal auxiliar, el proceso de impresión puede ser repetido y facilitado gracias a la automatización informática del mismo sistema y de la intervención manual lógica y estandarizada para seguir los pasos indicados y obtener los mejores resultados. Por ello el personal auxiliar es de gran ayuda en las clínicas, quitando la ocupación al dentista durante el proceso y post procesado de los materiales a imprimir (Foto 2).

De acuerdo, pero ¿cuántas indicaciones tiene la impresora en clínica?

1. Modelos de estudio:

Los modelos de estudio impresos en 3D nos permiten a los dentistas examinar la anatomía oral de los pacientes con una precisión sin precedentes y detalles hasta ahora no posibles con los modelos de yeso.

Estos modelos impresos son útiles para planificar tratamientos ortodónticos, evaluar la morfología dental y comunicarse de manera efectiva con el paciente sobre el plan de tratamiento propuesto. También y muy útil para poder imprimir una vez realizado el diseño dental que nos envía el laboratorio o que realizamos nosotros mismos, por ejemplo, a través de la app de Medit para el Smile Design.

La otra utilidad de los modelos es articularlos (como por ejemplo con el sistema de Model Builder de Medit) para poder incluso adaptar las coronas impresas o fresadas que recibimos del laboratorio y adaptarlas previamente para tenerlas correctamente ajustadas en el momento de la colocación al paciente o para adaptar y verificar el ajuste de un aparato removible (Foto 3 y 4).

45 eldentistamoderno mayo/junio 2024
Dr. Fernando Germán Director Dentinova Academy. Centro de Estancias Clínicas. Formación Digital Medit. KOL Speaker SprintRay.
2 3 4

2. Guías quirúrgicas:

La capacidad de imprimir guías quirúrgicas personalizadas facilita procedimientos como la colocación de implantes dentales. Estas guías mejoran la precisión y la predictibilidad de la cirugía, reduciendo el tiempo operatorio y minimizando el riesgo de complicaciones (Foto 5).

3. Coronas provisionales:

Los provisionales impresos en 3D ofrecen una solución temporal estética y funcional para los pacientes mientras se fabrican restauraciones permanentes. Estos provisionales son rápidos de producir y pueden adaptarse perfectamente a la anatomía oral del paciente (Foto 6).

Con la inteligencia artificial en la nube de SprintRay se puede obtener en sólo 5 minutos una corona posterior lista para su impresión directamente enviada a la impresora (Fotos 6 1 y 6 2 ).

Esto es un sistema automatizado que está en la nube que el mismo programa ofrece las 24 horas del día los 365 días al año.

Una vez enviado el archivo, recibiremos una opción de diseño que podemos aceptar o modificar según el criterio e imprimir en menos de 15 minutos con el sistema Crown Kit .

4. Incrustaciones definitivas:

La impresión de incrustaciones con un material como la resina SprintRay Crown permite la adaptación y cementación de incrustaciones onlay / inlay de manera definitiva con la posibilidad de colocarla en la misma visita si se cuenta con un diseño inmediato de la forma de la restauración y enviarla directamente a la impresora como se puede por ejemplo realizar desde el enlace en el escaneado de Medit (Fotos 7 1 y 7 2)

5. Férulas de ortodoncia para cementar brackets: La impresión 3D permite la fabricación eficiente de férulas de ortodoncia personalizadas que se adaptan a los brackets para la cementación simultánea, en un solo acto. Permite un ahorro de un tiempo considerablemente menor.

Es impreso en una resina especial flexible y transparente que permite la adaptación de los Brackets y su cementación (Foto 8).

IMPRESIÓN 3D 46 eldentistamoderno mayo/junio 2024
flujo digital
5 6 6.1 6.2 7.1 7.2 8

6. Prótesis dentales:

La impresión 3D con resina es una técnica prometedora para la fabricación de prótesis dentales removibles y fijas. Estas prótesis son duraderas, estéticas y pueden personalizarse según las necesidades específicas del paciente (Foto 9).

A través de un protocolo estandarizado se puede ofrecer a un paciente desdentado una prótesis completa en sólo dos visitas.

Escanea el código QR para leer el artículo sobre el flujo en prótesis completa.

7. Modelos anatómicos y mock up :

Los modelos anatómicos impresos en 3D son herramientas valiosas para la educación y la formación de los pacientes.

Estos modelos permiten una comprensión visual clara de las condiciones dentales y facilitan la discusión sobre los procedimientos propuestos (Foto 10 1).

También imprimimos el mock up de los cambios propuestos.

Se puede imprimir el nuevo diseño y realizar una simple llave de silicona para confeccionar las nuevas carillas provisionales si decidimos realizarlas con resina provisional (Structur o Protemp) (Foto 10 1).

8. Carillas provisionales:

Una de los opciones que tenemos también es imprimir carillas provisionales con la resina Sprintray

Crown que tiene un porcentaje alto de cerámica (35%) y que presenta una resistencia y desgaste según los estudios muy similares y cercanos a los dientes naturales (Foto 11).

Para ello es necesario un post procesado adecuado y en su caso también un maquillaje adecuado para poder darle una naturalidad y estética muy similar al diente.

Ventajas económicas y beneficios asociados

La adopción de la impresión 3D con resina, especialmente utilizando sistemas de impresión ofrece una serie de ventajas económicas y beneficios clínicos muy notables:

47 eldentistamoderno mayo/junio 2024
9 10.1 10.2 11

flujo digital

1. Reducción de costos de fabricación:

La impresión 3D con resina elimina la necesidad de fabricar modelos y dispositivos a través de métodos tradicionales costosos y laboriosos. Esto reduce significativamente los costos de fabricación y optimiza el flujo de trabajo en la clínica dental y a la vez repetidos tantas veces como uno desee.

2. Menor tiempo de producción:

Con la impresión 3D, los dispositivos y modelos pueden fabricarse en cuestión de minutos en lugar de días, lo que permite a los dentistas ofrecer un servicio más rápido y eficiente a sus pacientes. Este tiempo de producción puede ser reducido a una visita exclusivamente en casos de restauraciones como coronas o incrustaciones y en sólo dos visitas en casos de dentaduras removibles.

3. Personalización extrema:

La capacidad de personalizar cada dispositivo según las necesidades individuales del paciente mejora la precisión y la calidad de los resultados clínicos. Esto conduce a una mayor satisfacción del paciente y a una mayor fidelización a la clínica dental.

4. Diferenciación en el mercado:

La adopción de tecnologías avanzadas como la impresión 3D con resina distingue a la clínica dental en un mercado cada vez más competitivo. Esta diferenciación puede atraer a nuevos pacientes y mejorar la reputación y la credibilidad de la práctica. El hecho de que se hable de nosotros por las nuevas técnicas inmediatas y tecnológicas permite una mayor publicidad intrínsica que podemos considerarlas incluidas en el precio de la inversión.

5. Mejora la eficiencia clínica:

La integración de la impresión 3D en el flujo de trabajo clínico permite a los dentistas optimizar los procesos de tratamiento y reducir los tiempos de espera para los pacientes. Esto mejora la eficiencia general de la clínica y aumenta la productividad del personal.

Rol del personal auxiliar en la impresión 3D de resina

El personal auxiliar desempeña un papel crucial en el éxito de la implementación y utilización de la impresión 3D con resina en la clínica dental. Esto permite ayudarnos y reducir nuestra carga horaria o de trabajo en todo lo que sean los pasos protocolarizados a partir del diseño de las prótesis o para la confección de modelos (ej Model Builder de Medit) .

Sus responsabilidades pueden incluir:

1. Preparación del equipo:

El personal auxiliar es responsable de preparar y mantener el equipo de impresión 3D, incluida la colocación de material, encendido y el mantenimiento regular.

2. Gestión de archivos:

La carga y preparación de archivos digitales para la impresión 3D son tareas que pueden ser realizadas por el personal auxiliar, reduciendo nuestro tiempo para centrarnos en otras tareas de la clínica.

Descargar los archivos recibidos desde el laboratorio o enviar a imprimir los modelos que hemos escaneado puede ser tarea del personal auxiliar.

3. Supervisión del proceso de impresión:

Durante el proceso de impresión, el personal auxiliar puede monitorear el progreso y asegurarse de que se cumplan los parámetros de impresión establecidos.

4. Acabado y post-procesamiento:

Después de la impresión, el personal auxiliar puede encargarse del acabado y post-procesamiento de los modelos y dispositivos, garantizando la calidad y precisión finales.

Con una formación adecuada puede maquillarse y dejar preparado las restauraciones listas para su colocación.

5. Educación del paciente:

El personal auxiliar puede desempeñar un papel importante en la educación del paciente sobre los beneficios de la impresión 3D y cómo estos dispositivos mejorarán su experiencia de tratamiento como por ejemplo técnicas especiales de higiene imprimiendo un modelo del paciente (Foto 12).

Conclusiones

La impresión 3D con resina, especialmente con sistemas avanzados como SprintRay, ofrece una amplia gama de aplicaciones clínicas y beneficios económicos en la odontología moderna. Con la ayuda del personal auxiliar y una consideración cuidadosa de los costos y beneficios, la integración de la impresión 3D en la clínica dental puede llevar a una mayor eficiencia, calidad y diferenciación en el mercado. 

IMPRESIÓN 3D 48 eldentistamoderno mayo/junio 2024
12

Siguiendo la evolución de la Odontología para el profesional del sector llamado a construir el futuro

ENTREVISTA

A LA INDUSTRIA DENTAL

Zelko Relic, vicepresidente Ejecutivo y director de Tecnología de Align, y Karim Bousseeba, vicepresidente Ejecutivo y director general de la división de negocio de escáneres iTero y servicios relacionados

REPORTAJE

“En Sanitas Dental acompañamos al paciente durante toda su vida”

Dra. Manuela Escorial

PENSANDO EN EL FUTURO Ciberseguridad

INVESTIGACIÓN

Antropología dental Grupo de Antropología Dental del CENIEH
N úmero 85

Plataforma Arch Kit

Tanque de resina Arch Kit

Arch Kit permite a su impresora Pro S imprimir hasta el doble de rápido. Diseñado para la producción rápida de lotes pequeños, este nuevo kit le permite imprimir hasta 2 arcos a la vez en tan solo 13 minutos.

Bases de prótesis

HEDULE A DEM

Modelos dentales Prótesis híbridas Férulas de descarga

IMPRIME APL I C A CIONES DENTALES HASTA 2 X MÁS RÁPIDO

flujo digitalIMPRESIÓN 3D 50 eldentistamoderno mayo/junio 2024
PRESENTA A
EL
R CH K I T
SISTEMA DE IMPRESIÓN 3D MÁS RÁPIDO TODAVÍA
www.sprintray.es info.eu@sprintray.com

¿Por qué usar

SaluMYCIN ?

Aloinjerto con antibiótico de lenta liberación, para regenerar defectos óseos con infecciones crónicas y/o agudas dentales y maxilofaciales. Aloinjerto propio y exclusivo de Salugraft Dental.

Ideal para INFECCIONES ÓSEAS , PERIIMPLANTITIS y pacientes médicamente comprometidos

2 en 1 2 en 1

“REGENERA hueso, a la vez que CURA y PREVIENE infecciones óseas”.

Impregnado con ANTIBIÓTICO

ANTIBIÓTICO

Liberación local controlada

Los primeros 15 días Las 3 semanas siguientes 5 semanas

80

Rápida reentrada

En 4 MESES hueso vital y maduro

Vancomicina antibiótico natural

¡5 razones para usar aloinjerto!

www.salugraftdental.com marketing@salugraftdental.com T +34 932 380 735 @SalugraftDental
www.salugraftdental.com marketing@salugraftdental.com T +34 932 380 735 @SalugraftDental
Cortesía Dr. Miguel González Cortesía Dr. Pablo García
%
%
20
Más info sobre SaluMYCIN

DOS NUEVAS FÓRMULAS PARA

PREVENIR Y TRATAR LA GINGIVITIS

Parogencyl Encías Control y Parogencyl Encías Forte te ayudan en el cuidado de las encías.

La gingivitis o inflamación de las encías es uno de los problemas más frecuentes que puede padecer nuestra boca. Según un estudio de Images en Dermatologie, afecta a 8 de cada 10 adultos a lo largo de su vida. Se refleja en síntomas como la hinchazón o la rojez de las encías, pero también puede llegar a generar sangrados durante el cepillado. Si se trata adecuadamente solo produce molestias temporales pero, si no se cuida a tiempo, puede llegar a destruir los tejidos gingivales y conducir a enfermedades más graves como la periodontitis, que ataca los tejidos óseos y puede provocar la pérdida de piezas dentales.

La causa directa de la gingivitis es la acumulación de placa dental que se deposita en la superficie de los dientes y las encías. Las bacterias contenidas en la placa dental, si no se eliminan con una adecuada higiene bucal, se combinan con los minerales de nuestra saliva, calcificándose y formando así una capa dura, el sarro, el cual se adhiere a la superficie de los dientes y puede llegar a provocar una infección crónica. Los motivos de esta situación, aparte de una deficiente higiene bucal, pueden ser muy variados como el tabaquismo, la diabetes, la acción de ciertas enfermedades, los efectos secundarios de algunos medicamentos, cambios hormonales, el estrés, deficiencias nutricionales o problemas con prótesis dentales.

Publirreportaje PAROGENCYL 50 eldentistamoderno mayo/junio 2024

Ayudar a prevenir la gingivitis con Parogencyl Encías Control

Para ayudar a prevenir la gingivitis, además de unos hábitos de higiene oral adecuados y un control periódico por parte del odontólogo, es recomendable la utilización de una pasta de dientes específica con acción antibacteriana sobre la placa dental que ayude a reducir el riesgo de inflamación de las encías y el sangrado ocasional. Es el caso de Parogencyl Encías Control, que ahora cuenta con una nueva fórmula mejorada que contiene un 3% de mineral de Zinc, para limitar la acumulación de placa y prevenir la inflamación gingival, flúor (1.450 ppm F) para

fortalecer el esmalte y ayudar a prevenir la caries, y Vitamina E, un potente antioxidante que combate los radicales libres y ayuda a combatir la irritación de las encías. Se ha demostrado clínicamente* que el cepillado con Parogencyl Encías Control dos veces al día durante dos minutos, mejora el estado de las encías del 97% de las personas que lo han utilizado. Además, se recomienda que el cepillado se realice con un cepillo de dientes adecuado y se complemente con un enjuague bucal de uso diario, como el Colutorio Parogencyl Encías Control.

Ayudar a tratar la gingivitis con Parogencyl Encías Forte

Si ya se padece gingivitis, un cuidado adecuado puede ayudar a revertir la situación y que no derive en una periodontitis. En primer lugar, es esencial consultar a tu odontólogo para analizar los síntomas, efectuar un examen completo de boca y dientes y realizar, si lo estima necesario, una actuación específica para eliminar el sarro encima y debajo de la encía y en los espacios interdentales. Para esta primera fase se recomienda la utilización de un dentífrico que contribuya a reducir síntomas clásicos como la inflamación y el enrojecimiento ocasional de las encías. La nueva fórmula de Parogencyl Encías Forte actúa como tratamiento de choque de la gingivitis gracias a componentes como la Clorhexidina, el ingrediente de referencia para los profesionales, para ayudar a reducir la acumulación de placa bacteriana, causante principal de la gingivitis. Además, se ha introducido Vitamina B3, más conocida como Niacinamida, que ayuda a reducir la inflamación de las encías y el flúor, con 1.450 ppm F para mantener una adecuada protección anticaries y fortalecer el esmalte durante su uso.

Se recomienda utilizar Parogencyl Encías Forte para ayudar a tratar la gingivitis durante tres semanas dos veces al día durante tres minutos, acompañado de un cepillo de dientes adecuado, como Parogencyl Encías delicadas (Extra Suave), especialmente desarrollado para aquellas personas con encías sensibles cepillando verticalmente desde la encía hasta el final del diente, sin olvidar la lengua y concluyendo con un enjuague. Su eficacia está clínicamente probada desde la primera semana**. Una vez cumplidas estas tres semanas de uso, podemos volver a una rutina preventiva con la utilización de Parogencyl Encías Control, y el Colutorio Parogencyl Encías Control, además de adoptar hábitos saludables como una dieta equilibrada y una buena higiene bucal. Con todas estas recomendaciones y la utilización de los productos adecuados, evitaremos las molestias asociadas a la gingivitis y el riesgo de contraer enfermedades más graves, que generen tratamientos más largos y costosos.

*Estudio clínico durante trece semanas comparado con un dentífrico fluorado estándar. **Estudio en vivo. Ver instrucciones de uso en el envase.

Descubre más en www.parogencyl.es

51 eldentistamoderno mayo/junio 2024

“LO DIGITAL ES INHERENTE AL ADN DE ALIGN”

Zelko Relic, vicepresidente Ejecutivo y director de Tecnología de Align, y Karim Bousseeba, vicepresidente Ejecutivo y director general de la división de negocio de escáneres iTero y servicios relacionados

Tras incorporar sus últimas innovaciones a su sistema Invisalign y presentar el nuevo escáner iTero Lumina™ con la tecnología iTero Multi-Direct Capture, Zelko Relic, vicepresidente Ejecutivo y director de Tecnología de Align, y Karim Bousseeba, vicepresidente Ejecutivo y director general de la división de negocio de escáneres iTero y servicios relacionados, nos desvelan en esta entrevista cómo trabajan desde la compañía a la hora de incorporar lo último en tecnología, con el objetivo de ayudar a los doctores a mejorar sus tratamientos y, por tanto, la experiencia de paciente.

industria dental ENTREVISTA 52 eldentistamoderno mayo/junio 2024
Zelko Relic. Karim Bousseeba.

siguiendo la evolución de la Odontología

 DM.- Lo digital ha llegado para quedarse en el sector odontológico. A la hora de desarrollar nuevos productos, soluciones y servicios, ¿en qué os centráis cuando se trata de odontología digital? Zelko Relic (Z.R.).- Lo digital es inherente al ADN de Align. Ahora, lo que buscamos es desarrollar nuevas tecnologías innovadoras que tengan un impacto importante en las clínicas de los doctores y en la experiencia de paciente. Por ejemplo, para tener más control sobre la planificación de los tratamientos, hemos incorporado una nueva herramienta en nuestro software de planificación de tratamientos ClinCheck® llamada «Plan Editor». Se trata de una herramienta flexible, que los doctores pueden personalizar y que les permite incorporar con rapidez cambios importantes, hacer macro modificaciones, añadir excepciones o incluso, si lo necesitasen para un paciente concreto, se pueden desviar de sus plantillas de planificación de tratamientos para conseguir mejores resultados clínicos. Si los doctores ya podían incorporar cambios precisos con los Controles 3D, ahora podrán hacer cambios de mayor envergadura con Plan Editor y verlos reflejados en pocos minutos en la herramienta ClinCheck® Live Update. Respecto al sistema iTero, acabamos de lanzar hace poco la plataforma Align™ Oral Health Suite: una interfaz digital intuitiva y atractiva visualmente, cuyo propósito es mejorar las consultas odontológicas e impulsar la aceptación de los tratamientos dentales. Se trata de una forma moderna de abordar las exploraciones orales, que pone a disposición de los doctores y de los miembros del equipo de la clínica un marco clínico innovador para que, con un solo escaneo, puedan evaluar completamente el estado de la salud oral, usar un vocabulario fácil de entender para el paciente y centrarse por completo en la experiencia de paciente.

 DM.- En este sentido, ¿cómo trabaja Align cuando desarrolla una inteligencia artificial?

Z.R.- Somos punta de lanza cuando se trata de innovar e incorporar la inteligencia artificial en el ámbito de la odontología digital para mejorar los flujos de trabajo, la planificación de tratamientos y la interacción entre el doctor y el paciente. Lo que estamos haciendo ahora es desarrollar modelos de inteligencia artificial capaces de ayudar a los doctores a lo largo de todo el recorrido del tratamiento: desde que capturan los datos del paciente,

Lo que buscamos es desarrollar nuevas tecnologías innovadoras que tengan un impacto importante

en

las clínicas y en la experiencia de paciente ”

hacen el análisis clínico y el diagnóstico hasta que planifican, entregan y supervisan el tratamiento. Contamos con los datos de más de 17 millones de casos tratados con el sistema Invisalign®, lo que nos coloca en una posición privilegiada a la hora de apoyar a nuestros doctores especializados en el sistema Invisalign, porque nos permite usar la inteligencia artificial para que puedan planificar de forma predecible los resultados del tratamiento y dar un seguimiento continuo a los pacientes. Por ejemplo, el sistema Invisalign® utiliza herramientas de diagnóstico avanzadas, así como una inteligencia artificial predictiva, que ayuda a que los doctores consigan resultados clínicos excepcionales. Para los pacientes, Invisalign Smile View™ utiliza múltiples técnicas de inteligencia artificial para generar una simulación,

53 eldentistamoderno mayo/junio 2024
Zelko Relic
iTero Lumina supone un antes y un después tecnológico en materia de escaneo intraoral ”

que no tiene fines clínicos, pero que les permite visualizar los resultados que podrían conseguir al finalizar un tratamiento ortodóncico.

Y aquí me quiero hacer eco de algunas de las reticencias que suelen tener los especialistas clínicos, y es que la inteligencia artificial no va a sustituir a los odontólogos: su experiencia es muy importante si queremos asegurarnos de que se prescriben tratamientos seguros y predecibles. Sin embargo, lo que sí se consigue con este tipo de tecnología es que los odontólogos y ortodoncistas puedan aprovechar su experiencia y sus competencias para ofrecer mejores resultados clínicos y una mejor experiencia de paciente, y esta es la parte que nos entusiasma. Si aprovechamos la inteligencia artificial, tendremos más posibilidad de contar con flujos de trabajo más rápidos y eficientes, y de conseguir que el tratamiento ortodóncico esté al alcance de muchos más pacientes.

 DM.- En cuanto al desarrollo del sistema Invisalign®, ¿cuáles han sido las últimas innovaciones incorporadas a este sistema de aligners transparentes?

Z.R.- Las últimas innovaciones del sistema Invisalign® han permitido que el tratamiento ortodóncico evolucione a grandes zancadas; y aquí hemos tenido en cuenta las necesidades y preferencias específicas de los pacientes, sobre todo las de los pacientes en etapa de crecimiento. Hay que destacar el avance que supuso incorporar el sistema de expansión palatina Invisalign® Palatal Expander System: un tratamiento a medida diseñado para tratar problemas relacionados con la alineación de los dientes y la mandíbula en los pacientes en etapa de crecimiento. Se trata de un dispositivo hecho a medida que según pasa el tiempo va ensanchando paulatinamente el maxilar superior, solucionando problemas relacionados con el apiñamiento dental, las mordidas cruzadas y las arcadas dentales estrechas.

Crear más espacio en la boca puede evitar problemas ortodóncicos más graves en el futuro, como tener dientes impactados o tener que extraer piezas dentales. Todavía estamos pendientes de que se apruebe desde un punto de vista reglamentario para la Unión Europea y así poder comercializarlo en el mercado.

Otra innovación disruptiva son las activaciones SmartForce™ del aligner Attachment-Free, que se usan en los aligners transparentes Invisalign®. Esta tecnología permite mover mejor los dientes durante el tratamiento ortodóncico e incluso prescindir de los attachments tradicionales en los incisivos. En este caso, los aligners cuentan con una serie de formas del mismo color del diente que proporcionan la fuerza necesaria para controlar estratégicamente los movimientos de los dientes. La ventaja es que consigue que el tratamiento sea más eficaz, más cómodo, más estético y que los movimientos dentales sean más predecibles.

Haber incorporado estas últimas innovaciones nos ha permitido que el sistema Invisalign® siga evolucionando, proporcionando a los pacientes soluciones ortodóncicas eficaces, cómodas y discretas, adaptadas a sus necesidades concretas.

industria dental ENTREVISTA 54 eldentistamoderno mayo/junio 2024

siguiendo la evolución de la Odontología

 DM.- Háblenos del nuevo escáner intraoral iTero Lumina™, la última innovación de Align Technology. ¿Qué ventajas aporta esta nueva solución de escaneo digital para el profesional y para el paciente? ¿Cómo mejora la experiencia para ambos? Karim Bousseeba (K.B.).- El nuevo escáner iTero Lumina™ da paso a una etapa revolucionaria en el ámbito del escaneado con la innovadora tecnología iTero Multi-Direct Capture. Con este avance se consigue que el campo de visión sea 3 veces más amplio¹ y que la pieza de mano sea un 50% más pequeña y un 45% más ligera2, lo que permite escanear con más rapidez3, más precisión4 y contar con una capacidad de visualización superior5 consiguiendo que todo el proceso sea mucho más cómodo6. Como la profundidad de escaneo es mayor, llegando a los 25 mm**, se pueden explorar zonas complejas de la boca1, como paladares estrechos o profundos, espacios edéntulos y dientes parcialmente erupcionados, sin tener apenas que maniobrar con el lector. Se trata, por tanto, de un escáner que captura imágenes fotorrealistas con una calidad excepcional4 y que cuenta con una capacidad de visualización muy superior; una tecnología que genera modelos en 3D fotorrealistas y que nos permite prescindir de esas cámaras digitales y retractores de labios aparatosos. Todo esto repercute positivamente tanto en la capacidad diagnóstica del doctor como en la experiencia de paciente en general: por un lado, a los profesionales les permite capturar imágenes digitales increíblemente precisas para así poder planificar el tratamiento de forma mucho más precisa; y, por otro, a los pacientes se les explora con una pieza de mano bastante más pequeña, por lo que el proceso se vuelve mucho más cómodo para ellos. La rápida acogida que están teniendo estos escáneres intraorales en el sector está transformando la forma de abordar los diagnósticos, de planificar los tratamientos y de interactuar con los pacientes. Este avance marca el comienzo de una nueva era para el ámbito de la odontología digital desde el punto de vista tecnológico, mejorando drásticamente la experiencia de paciente, pues recordemos que antes los procesos podían llegar a ser bastante incómodos para los pacientes. Cuando incorporamos esta tecnología al ámbito odontológico, estamos allanando la comunicación entre los doctores y sus laboratorios, agilizando los procesos y acelerando los tiempos de las restauraciones y los aligners.

 DM.- ¿Qué innovación introduce Align Technology al mercado en materia de escaneo digital con esta novedad?

K.B.- Con el escáner iTero Lumina™ se puede escanear el doble de rápido5 y con mucha mejor calidad, dejando patente que para nosotros lo más importante es trabajar con precisión y seguir optimizando los flujos de trabajo. Se trata, por tanto, de un salto sustancial en términos de imagen y visualización, que repercute directamente en la calidad de la comunicación y en la experiencia de paciente. Con seis cámaras y un mayor campo de visión, el escáner iTero Lumina™ escanea en una sola pasada con una precisión sin igual. Dota a los profesionales del sector del mejor flujo de trabajo digital para que traten a sus pacientes con precisión y rapidez y consigan los mejores resultados clínicos con los aligners transparentes. iTero Lumina™ supone un antes y un después tecnológico en materia de escaneo intraoral. Tenemos muchas ganas de ver cómo se transforman digitalmente los flujos de trabajo y las clínicas de nuestros clientes, y el impacto positivo que tendrá en la calidad del servicio que se le brinde al paciente a partir de ahora.

 DM.- Align Technology ha anunciado recientemente la adquisición de Cubicure, una empresa pionera que ofrece soluciones novedosas de impresión 3D y que desarrolla, produce y distribuye materiales, equipos y procesos innovadores en el ámbito de la fabricación aditiva con polímeros. ¿Qué impacto tiene esto en el plan estratégico de innovación de Align? Y ¿cómo creen que transformará esto el sector, ahora que Align incorpora los dispositivos ortodóncicos imprimidos en 3D?

Z.R.- La adquisición de Cubicure le da un impulso importante al plan estratégico de innovación de

55 eldentistamoderno mayo/junio 2024

Align. Align es actualmente el mayor fabricante en 3D del mundo: fabrica en torno a un millón de aligners transparentes Invisalign® al día. Cu -

Referencias

bicure nos permitirá ampliar nuestras operaciones de impresión, por lo que dentro de poco podremos empezar a imprimir directamente millones de dispositivos hechos a medida al día, lo que nos permitirá satisfacer las necesidades cambiantes de los pacientes y de los odontólogos con mayor eficacia.

También podremos aprovechar los últimos avances tecnológicos en materia de impresión 3D. El sistema Invisalign® Palatal Expander System –que he mencionado antes– es el primer dispositivo ortodóncico de Align impreso directamente en 3D; ahora que hemos adquirido Cubicure, nos hemos propuesto trabajar con más materiales y ampliar el volumen de fabricación para poder adaptar y personalizar todavía más los productos del portfolio que imprimamos en 3D. Así podremos fabricar dispositivos ortodóncicos diseñados a medida que se adapten a la anatomía dental y a las necesidades de tratamiento particulares de cada paciente para conseguir resultados más precisos y eficaces. 

1. Comparado con el campo de visión del sistema de diagnóstico por imágenes 5D iTero Element™, cuando la distancia de escaneo del escáner intraoral iTero Lumina™ es de 12 mm.*

2. Comparado con la pieza de mano del sistema de diagnóstico por imágenes 5D iTero Element™, sin incluir el cable de la pieza de mano.*

3. El escáner intraoral iTero Lumina™ demostró ser científicamente más preciso* para sus necesidades clínicas de ortodoncia.

4. Solo para casos de toma de registros del sistema Invisalign. Según una encuesta hecha en septiembre de 2023 a n = 22 usuarios que participaron en un lanzamiento mundial limitado en el mercado; los participantes habían trabajado con el escáner intraoral iTero Lumina™ durante una media de seis meses; entre los perfiles encuestados había odontólogos generales y ortodoncistas especializados en el sistema Invisalign procedentes de las regiones de NA, UE y APAC, a los que les presentaron una escala de conformidad compuesta de 4 puntos, que abarcaba desde «muy de acuerdo» hasta «muy en desacuerdo» para que evaluasen las siguientes afirmaciones:

«El modelo 3D del escáner intraoral iTero Lumina™ es similar al de una fotografía intraoral» y «Los escaneos fotorrealistas del escáner intraoral iTero Lumina™ permiten hacer una evaluación clínica tal como haría con las fotografías intraorales» y «La calidad superior del modelo 3D del escáner intraoral iTero Lumina™ permite prescindir de las fotografías intraorales» y «La calidad superior del modelo 3D del escáner intraoral iTero Lumina™ aumenta la participación del paciente». *

5. Comparado con la pieza de mano iTero Element™ 5D con tolerancia AVE=±0,1 que funciona a una distancia de trabajo de 0 a 20 mm.*

6. Para los doctores y los miembros de su equipo: comparado con otros escáneres iTero™ que tenían en sus respectivas clínicas. Según una encuesta llevada a cabo en septiembre de 2023 con n = 22 usuarios que participaron en un lanzamiento mundial limitado en el mercado; los encuestados habían trabajado con el escáner intraoral iTero Lumina™ durante una media de seis meses; entre los perfiles encuestados, había odontólogos generales y ortodoncistas especializados en el sistema Invisalign®, así como miembros de sus respectivos equipos; los encuestados procedían de las regiones de NA, EMEA y APAC; a los participantes se les presentó una escala de conformidad compuesta de 4 puntos, que oscilaba desde «muy de acuerdo» hasta «muy en desacuerdo» para que valorasen la siguiente afirmación: «Prefiero usar el escáner intraoral iTero Lumina™ ante otros escáneres iTero en mi clínica, porque es mucho más cómodo». Para pacientes: comparado con la pieza de mano del sistema de imágenes 5D iTero Element™.

7. Según una encuesta hecha en septiembre de 2023 de n = 22 usuarios que participaron en un lanzamiento global limitado al mercado; los encuestados habían trabajado con el escáner intraoral iTero Lumina™ durante una media de seis meses; entre los participantes había odontólogos generales y ortodoncistas especializados en el sistema Invisalign, así como miembros de sus respectivos equipos y procedían de las regiones de NA, UE y APAC; a los encuestados se les presentó una escala de conformidad compuesta de 4 puntos, que oscilaban desde «muy de acuerdo» hasta «muy en desacuerdo» para evaluar la siguiente afirmación: «La experiencia de escaneo del escáner intraoral iTero Lumina™ ayuda a eliminar las barreras de adopción y utilización».

industria dental ENTREVISTA 56 eldentistamoderno mayo/junio 2024

Conseguir un buen rendimiento clínico requiere mucho esfuerzo. Think again.

Presentamos el nuevo escáner intraoral iTero Lumina™.

Para que escanear sea fácil y tenga una calidad excepcional2 , esta innovación revolucionaria permite multiplicar exponencialmente el rendimiento de la clínica.

Obtenga más información y solicite una demostración hoy en iTero.com

57 eldentistamoderno mayo/junio 2024
1.
imágenes
5D (excluyendo el cable). Datos de archivo de Align Technology, a 15
2. En
el sistema de adquisición de imágenes iTero Element™ 5D. Datos de archivo de Align Technology, a 15 de noviembre de 2023. ©2024 Align Technology, Inc. Align, Invisalign, iTero e iTero Lumina, entre otras, son marcas comerciales de Align Technology, Inc. A019351 Rev. B
Comparado con la pieza de mano del sistema de adquisición de
iTero Element
de noviembre de 2023.
comparación con
Cámaras multi-angulares
Pieza de mano un 50 % más pequeña1 Tecnología
iTero Multi-Direct Capture™

“EN SANITAS DENTAL ACOMPAÑAMOS AL PACIENTE DURANTE TODA SU VIDA”

Con un modelo asistencial cuyo objetivo es acompañar al paciente durante toda su vida, Sanitas Dental trabaja en múltiples líneas de innovación con el fin de ofrecer servicios que transformen la experiencia del paciente a lo largo de todo el patientjourney. Así lo explica la Dra. Manuela Escorial, odontóloga responsable del departamento de Innovación y Calidad Clínica de Sanitas Dental, quien destaca la apuesta de la compañía por la digitalización, la tecnología y la colaboración multidisciplinar entre los equipos de profesionales, así como por ofrecer servicios que vayan más allá de la salud bucodental.

El modelo asistencial de Sanitas Dental se fundamenta, según nos cuenta la Dra. Manuela Escorial, odontóloga responsable del departamento de Innovación y Calidad Clínica de Sanitas Dental, “en un objetivo que compartimos con el resto de la compañía, acompañar al paciente durante toda su vida”. En este sentido, añade que el objetivo de Sanitas Dental es “lograr servicios que ayuden a las personas a cuidar de su salud bucodental y que la integren cada vez más sobre el estado de su salud general. Para su consecución, trabajamos en múltiples líneas de innovación, mejora en la calidad de nuestros procesos y de la seguridad clínica”.

La innovación, un estímulo constante

La innovación es una parte fundamental del ADN de la compañía de la que forma parte Sanitas Dental y “los estímulos son constantes”, asegura la Dra. Manuela Escorial, destacando que “la digitalización tiene que ayudarnos a ofrecer servicios que transformen la experiencia del paciente, no sólo en el gabinete, sino desde el primer momento en que decide interaccionar con la compañía. Aquí los retos son altamente motivadores, tanto a nivel asistencial como tecnológicos o de comunicación”.

Y añade que “de lo que no tenemos duda, es que la tecnología debe ayudarnos a ofrecer servicios con un enfoque preventivo y conservador, con la mayor predictibilidad posible”.

Para la responsable del departamento de Innovación y Calidad Clínica de Sanitas Dental, “las nue-

reportaje SANITAS DENTAL 58 eldentistamoderno mayo/junio 2024

siguiendo la evolución de la Odontología

Nuestro objetivo es lograr servicios que ayuden a las personas a cuidar de su salud bucodental y que la integren cada vez más sobre el estado de su salud general. Para su consecución, trabajamos en múltiples líneas de innovación, mejora en la calidad de nuestros procesos y de la seguridad clínica

vas herramientas también tienen que acompañar al paciente en el desarrollo de un mayor conocimiento de su salud y de su propio autocuidado”.

Una propuesta asistencial multidisciplinar Desde Sanitas Dental acompañan al paciente en todas las fases de su vida. “La prevención y la promoción de la salud deben orientar nuestros servicios diagnósticos y terapéuticos y una vez alcanzados, continuar acompañando al paciente con herramientas individualizadas para su cuidado en casa junto con un plan de mantenimiento periódico en la clínica”, explica la Dra. Manuela Escorial. Asimismo, “apostamos por la colaboración con equipos de odontólogos y cirujanos maxilofaciales que promueven la comunicación activa. Esta relación

59 eldentistamoderno mayo/junio 2024
patrocinado
Artículo
La digitalización tiene que ayudarnos a ofrecer servicios que transformen la experiencia del paciente, no sólo en el gabinete, sino desde el primer momento en que decide interaccionar con la compañía ”
Estamos trabajando por servicios que vayan más allá de la salud bucodental ”

multidisciplinar genera consensos clínicos actualizados para desarrollar servicios cada vez más protocolizados”, indica. La compañía trabaja por la mejora constante de medios, equipamientos y recursos para favorecer servicios actualizados y de calidad. En Sanitas Dental “somos una red de salud odontológica integral que también se centra en la alta complejidad y en el fomento de la derivación del paciente a los profesionales más indicados para cada caso. Formar parte de una compañía de salud nos permite ofrecer servicios donde la odontología y la cirugía maxilofacial participan de manera integrada y ofrecen soluciones adecuadas a casos muy complejos”, apunta la Dra. Manuela Escorial.

Por otro lado, la responsable del departamento de Innovación y Calidad Clínica de Sanitas Dental destaca que “estandarización, fomento de herramientas de planificación digital en todas las disciplinas, nuevos materiales y técnicas, y programas de atención específicos son algunas de las muchas líneas de trabajo en constante evolución”.

Entre algunos de los proyectos en los que se encuentran inmersos actualmente en Sanitas Dental, la Dra. Manuela Escorial apunta que “estamos trabajando por servicios que vayan más allá de la salud bucodental. El proyecto de medicina dental del sueño nace con vocación interdisciplinar, donde la odontología forma parte de un circuito en el tratamiento de una patología infradiagnosticada y en la que puede aportar un gran valor”. 

reportaje SANITAS DENTAL 60 eldentistamoderno mayo/junio 2024

corusdental.com

La prótesis removible exclusiva de Corus

desarrollada en un flujo de trabajo digital.

Gracias a su innovador protocolo, se reduce el número y tiempo de las visitas necesarias para obtener una prótesis removible digital, de alta calidad y con las máximas prestaciones de función y estéticas.

siguiendo la evolución de la Odontología 61 eldentistamoderno mayo/junio 2024
Un producto de Una solución única y digital Calidad y satisfacción para tus pacientes Menos visitas y menor tiempo de sillón Escanea el QR y pide más información:

COMIENZA CON ÉXITO EL CURSO MODULAR “INMERSIÓN DIGITAL EN ESTÉTICA ADHERIDA” DE CORUS ACADEMY

Corus Academy da comienzo a su Curso modular “Inmersión Digital en Estética Adherida”. Una formación en la que los profesionales aprenderán de la mano de referentes mundiales en estética dental cómo llevar sus habilidades clínicas al siguiente nivel y garantizar resultados predecibles y de alta calidad.

de la mano de referentes mundiales en estética dental para hacerlo como los mejores. A lo largo de este curso se desvelarán todos los secretos de -

reportaje CORUS ACADEMY
E S P E C I A L I S T A U N I V E R S I T A R I OE N

sos protocolos digitales de la mano de referentes mundiales en cada una de las fases del tratamiento: odontología emocional, planificación, diseño, función, preparaciones dentales y adhesión. Y todo ello en el paradigma de la odontología actual con herramientas y protocolos 100% digitales.

Aprende de los mejores para hacerlo como los mejores

Este curso te ayudará a comprender y poder aplicar un flujo digital con los conceptos y principios de estética y función consolidados. La elección del material ya no te volverá a generar dudas y ésta irá de la mano de tus preparaciones. Te sentirás capaz de empezar a planificar y diseñar tus casos y la cementación adhesiva no tendrá secretos para ti. Y para ello desde Corus Academy han escogido a los mejores especialistas del mundo, los más vanguardistas y los mejores profesores, entre los que se encuentran el Dr. G. Pradíes, Dr. M.Fradeani, Dr. L Bacherini, Dr. P. Layan, Dr. E. Mallat, Dr. S. Gallardo, TPD W. Zarco, TPD C. Plata, TPD J. Rubio, TPD D. García, TPD F. Masip, Dr. S. Kina, TPD A. Bruguera, Dr. I. Loi, Dr. S. Cofré, Dr. Jesús Isidro y Dr. Jon Salazar. Este curso modular ha sido diseñado para clínicos que quieran iniciarse en estética adhesiva, clínicos que se acaban de comprar un escáner y quieren aplicar protocolos digitales de estética, y clínicos que quieran colocar en el centro del diagnóstico a sus pacientes. Si eres uno de ellos, ¡este curso te ayudará a ser el mejor!

Además, una de las novedades de este curso, es que se presenta por módulos individuales y te ofrece la posibilidad de elegir uno, el que más te guste, varios módulos, o hacer el curso entero. Tú puedes configurar el curso de acuerdo a tu disponibilidad y conocimientos. ¡Crea tu curso a medida y sumérgete de forma definitiva en la estética de la nueva era! Haz el curso completo y adquiere todos los conocimientos como Especialista Universitario en Digitalización en Estética Adherida, gracias a la colaboración con la UCAM. 

CELEBRADO EL MÓDULO I EN MÁLAGA

Los pasados días 3 y 4 de mayo se impartió en Málaga el Módulo I del curso, bajo el título “Lo que debes saber del flujo digital en odontología” e impartido por el Dr. G. Pradíes, el Dr. P. Serra y TPD A. Bruguera. En este primer módulo, los asistentes han podido entender qué significa ser digital y cuáles son las herramientas que ofrece la incorporación de lo digital en odontología y en concreto en el ámbito de la estética adherida. Según han indicado los profesionales asistentes, este módulo les ha aportado “herramientas, tips y dudas resueltas con ponentes que son los mejores en cada una de sus áreas”, destacando las herramientas digitales y su aplicabilidad en el día y a día y para casos complejos. Sobre esta inmersión digital, los asistentes también han señalado que por primera vez han alcanzado la capacidad de integrar los contenidos digitales con una aplicación en su experiencia, que “claramente nos va a abrir una alternativa de conocimiento y de experiencia totalmente distinta para poder aplicarla sobre nuestros pacientes”.

63 eldentistamoderno mayo/junio 2024
Más
información

pensando en el futuro

LA IMPORTANCIA DE LA SEGURIDAD DE LOS DATOS EN CLÍNICAS DENTALES

Las clínicas dentales están inmersas en un entorno digital en el que se debe prestar una especial atención a la seguridad de los datos, más allá del imperativo ético y legal que esto requiere. A través de este artículo, podrás conocer además por qué el sector salud se ha convertido en un blanco atractivo para los ciberdelincuentes y cuáles son los ciberataques más comunes en el ámbito sanitario, así como las claves para fortalecer la defensa de tu clínica contra posibles amenazas cibernéticas.

Actualmente y teniendo en cuenta el contexto digital en el que estamos inmersos en nuestro día a día, la seguridad de los datos es un aspecto fundamental en el sector salud y, por ende, también en las clínicas dentales, que deben implementar medidas de seguridad física y tecnológica con el fin de proteger

la información de sus pacientes, especialmente a raíz de la implantación generalizada de sistemas informáticos en estos negocios. La protección de la confidencialidad y seguridad de los datos en las clínicas dentales no sólo es una cuestión ética, sino también una exigencia legal y regulatoria.

CIBERSEGURIDAD 64 eldentistamoderno mayo/junio 2024
123RF

siguiendo la evolución de la Odontología

Más allá de los numerosos beneficios que ofrece para la clínica y sus profesionales todo este entorno digital, esta nueva circunstancia también conlleva una serie de desafíos en materia de protección de la privacidad y seguridad de los datos. De hecho, el sector salud se ha convertido en uno de los principales objetivos de los ciberdelincuentes en los últimos años. Según el estudio realizado por ENISA sobre las amenazas de ciberseguridad en la salud en la UE, este sector registra el 8% de los incidentes de ciberseguridad, situándose por detrás de la administración pública (19%), pero por delante de otros sectores como la banca (6%), el transporte (6%) o la energía (4%). Los proveedores de atención médica son los más afectados, con un 53% del total de incidentes. Los hospitales, en particular, son los más vulnerables, con un 42% de los casos reportados. Además, otras entidades de la sanidad como las autoridades sanitarias y la industria farmacéutica también han sido objetivo de ataques.

El sector salud registra el 8% de los incidentes de ciberseguridad, según un estudio realizado por ENISA ”

El sector salud, un blanco atractivo para los ciberdelincuentes

Uno de los mayores ataques sanitarios de la historia, ocurrido en febrero de este año 2024, puso en relieve la vulnerabilidad de este sector. Change Healthcare, una empresa que procesa pagos y recetas médicas en Estados Unidos, sufrió un ciberataque perpetrado por el grupo de ransomware Blackcat, que impidió a hospitales y centros médicos emitir recetas, recibir pagos y realizar otras funciones críticas.

Las consecuencias de un ciberataque en el sector sanitario pueden ser devastadoras, puesto que además del perjuicio económico, que puede ser considerable, este tipo de ataques representa un peligro real para la salud de los pacientes, ya que puede poner en riesgo la atención médica e, incluso, ocasionar daños físicos.

Francisco Valencia, CEO de Secure&IT, advierte que “en el ámbito sanitario, un ciberataque va más allá de una simple filtración de datos. Los riesgos para la salud de los pacientes son reales y potencialmente mortales. Imaginémonos un escenario donde los sistemas informáticos de un hospital se ven comprometidos, lo que provoca la desactivación de equipos médicos críticos o la alteración de registros de medicamentos. Las consecuencias podrían ser catastróficas: retrasos en la atención, diagnósticos erróneos e incluso la administración de tratamientos incorrectos. La ciberseguridad en el sector sanitario no es solo una cuestión de privacidad, es una cuestión de vida o muerte”. Desde Secure&IT señalan que “los ciberdelincuentes encuentran en el sector salud un blanco altamente atractivo debido a la valiosa información que se maneja, como historiales médicos, datos financieros y otros datos personales. Esta información puede ser empleada para diversos fines ilícitos, como el robo de identidad, la extorsión o la venta en el mercado negro”. Según el informe realizado por ENISA, un historial médico puede llegar a costar entre 30 y 1.000 dólares, mientras que una tarjeta de crédito se puede vender entre 1 y 6 dólares.

65 eldentistamoderno mayo/junio 2024

pensando en el futuro

La ciberseguridad en el sector sanitario no es solo una cuestión de privacidad, es una cuestión de vida o muerte ”
Francisco Valencia, CEO de Secure&IT

Los ciberataques más comunes

Los ciberataques al sector salud tienen como objetivo principal el robo de datos sensibles, como historiales médicos, información financiera y otros datos personales. Estos ataques se realizan a través de diversos métodos (ransomware, phishing, etc.), que afectan a la disponibilidad de datos, la prestación de servicios y la calidad de la atención al paciente. Además, la falta de recursos, la complejidad de los sistemas informáticos y la falta de concienciación del personal sanitario agravan esta situación.

Según estudios de referencia, las principales puertas de entrada para los ciberataques en el sector salud incluyen la mala configuración de seguridad, errores humanos en la operación, ataques de ingeniería social y ataques en la cadena de suministro. El ransomware es el tipo de ataque más frecuente, seguido del robo de datos y los ataques de intrusión. Es importante destacar que, además del ransomware, existen otras amenazas importantes para el sector. Por ejemplo, los ataques de

denegación de servicio (DDoS), que tienen como objetivo sobrecargar los sistemas informáticos de una organización con tráfico falso, lo que los hace inaccesibles para los usuarios legítimos. Los ataques DDoS pueden causar graves interrupciones en la actividad de las organizaciones sanitarias, lo que puede tener consecuencias importantes para los pacientes.

Para prevenir estas amenazas, los responsables de las clínicas dentales deben combinar una serie de medidas técnicas y de seguridad, entre las que se incluyen la implementación de firewalls, antivirus, software de detección de intrusiones, cifrado de datos... Aquí, además, juega un papel fundamental el factor humano, puesto que todo el equipo de la clínica debe ser consciente y conocer la importancia de proteger la información del paciente, además de estar preparado y capacitado para reconocer estas amenazas y responder de manera adecuada ante posibles ataques cibernéticos.

Por su parte, Javier Martí, responsable de Ciberseguridad de Secure&IT, recalca que “la ciberseguridad en el sector salud es un desafío que no podemos ignorar. Es necesario tomar medidas contundentes para proteger la información de los pacientes y garantizar la confianza en el sistema sanitario. Esto implica invertir en medidas de protección para los sistemas informáticos y los datos de los pacientes, así como implementar medidas de prevención, como formación del personal, actualización de software y desarrollo de planes de respuesta a incidentes. Además, la colaboración público-privada es fundamental para desarrollar estrategias conjuntas de prevención y respuesta”. 

CIBERSEGURIDAD 66 eldentistamoderno mayo/junio 2024
123RF 123RF

EXPERTOS EN EL CUIDADO DE ENCÍAS

• 0,125% Clorhexidina

• 3% vitamina B3 (Niacinamida)

• Flúor 1.450 ppm

• Sabor fresco

Ayuda a reducir la gingivitis

Ayuda a prevenir la gingivitis

• 3% Zinc

• Flúor 1.450 ppm

• Sabor fresco

Te invitamos a nuestro Lunch & Learn:

Tratamiento no quirúrgico de la periimplantitis

¿Una alternativa a la cirugía?

El 30 de mayo a las 14h en SEPA 24 - Bilbao

Apúntate escaneando el código:

NUEVA FÓRMULA
Ver instrucciones de uso en el envase.

DOCUMENTO DE CONSENSO DEL I ADVISORY BOARD ESPAÑOL SOBRE MANEJO DE LA SENSIBILIDAD DENTINAL

El I Advisory Board Español sobre Manejo de la Sensibilidad Dentinal trabaja para evaluar la evidencia disponible acerca del uso de diferentes productos de uso domiciliario para el tratamiento de la sensibilidad dentinal (SD), con el fin de determinar la eficacia de las diferentes estrategias para su tratamiento y, si es posible, elaborar un protocolo de consenso para el tratamiento de la SD, teniendo en cuenta los diferentes factores etiológicos y mecanismos de actuación de los productos evaluados, basado en la evidencia que pudiera servir de guía en la práctica clínica.

Sensibilidad dentinal

La sensibilidad dentinal (SD) o hiperestesia dentinaria puede definirse como un dolor breve y agudo de la dentina expuesta en respuesta a estímulos térmicos, evaporativos, táctiles, osmóticos o químicos, que no puede relacionarse con otra patología dental presente en el diente o dientes afectados y que desaparece al cesar el estímulo (Holland, et al., 1997). La HD es un claro ejemplo de alteración funcional del com -

plejo dentino pulpar, sin que la pulpa muestra cambios inflamatorios o degenerativos. De acuerdo a los resultados del Canadian Advisory Board on Dentin Hypersensitivity de 2003, para que se produzca deben darse dos situaciones, la dentina debe estar expuesta, ya sea por la pérdida de esmalte, por razones anatómicas o por una recesión gingival, y además, los túbulos dentinarios deben ser permeables.

El proceso de exposición y apertura de los túbulos es complejo y multifactorial. La evidencia científica sugiere que, en personas adultas, la recesión gingival por procesos consuntivos dentales (erosión, atrición, abrasión) y por enfermedad periodontal, es la causa más frecuente de exposición dentinal. Mientras que en los niños y adolescentes es la Hipomineralización Incisivo Molar (MIH) una de las causas más frecuentes de SD. Por otra parte, la hipersensibilidad dentinal (HD), hace referencia estrictamente al dolor intenso y duradero que se produce cuando hay una inflamación severa y persistente de la pulpa ocasionada por procesos patológicos de diferente índole como caries, traumatismos dentales, blanqueamiento dental, iatrogenia en los procedimientos operatorios, etc.

Se han propuesto varias teorías para explicar el mecanismo patogénico de la SD. La teoría hidrodinámica propuesta por Brännström es la más aceptada. Hace referencia al movimiento del

documento de consenso SENSIBILIDAD DENTINAL 68 eldentistamoderno mayo/junio 2024

fluido dentinario dentro de los túbulos a partir de estímulos térmicos, mecánicos, evaporativos y osmóticos, este movimiento provoca deformación de los odontoblastos y sus prolongaciones intratubulares que ocasiona una despolarización de las terminaciones nerviosas de la pulpa, provocando dolor. Otra teoría que se ha propuesto para explicar el dolor de la SD, es la presencia de receptores/canales nociceptivos, proteínas de membrana pertenecientes a la familia de Receptor de Potencial Transitorio (TRPs) en la membrana de los odontoblastos y en las fibras nerviosas que se estimulan por el movimiento del fluido dentinario, cambios de presión, temperatura, pH o por mediadores de la inflamación.

La prevalencia varía según los estudios desde valores muy bajos, en torno al 1,3% en población general y el 92,1% en pacientes con enfermedad periodontal. Esta heterogeneidad se halla relacionada con la población estudiada, el proceso de reclutamiento, el contexto del estudio y los diferentes criterios diagnósticos utilizados para determinar la prevalencia. Una revisión sistemática con metaanálisis realizada por Favaro Zeola y cols, en 2019, establece que la mejor estimación de la prevalencia de la SD fue de aproximadamente del 11,5%, y la media de todos los estudios que se analizaron fue del 33,5%.

La SD afecta a la calidad de vida de las personas, produciendo un deterioro significativo para funciones básicas como, hablar, comer, beber o cepillarse los dientes. A medida que las personas conservan más dientes vitales o mínimamente restaurados, es probable que la SD se convierta en un problema más frecuente entre la población de adultos mayores. El impacto

negativo de la SD en la vida diaria es una razón de peso que lleva a las personas a buscar asistencia odontológica para mejorar su calidad de vida.

Respecto al tratamiento, el primer aspecto destacable es que, una vez descartadas causas patológicas, se tendrá que actuar sobre los factores etiológicos, como el cepillado defectuoso, ya sea por utilizar cepillos demasiado duros, realizar excesiva fuerza o utilizar productos abrasivos en el cepillado; y en controlar los factores erosivos, implicados en la iniciación de la SD. Entre los primeros se encuentran las bebidas carbonatadas o ácidas, el vino, las frutas cítricas y sus zumos, vinagre, los encurtidos, los aderezos de las ensaladas, mostazas, tabasco, tés de frutas, etc., y algunos ácidos de carácter profesional, como en los trabajadores de la fabricación de baterías, si no están correctamente protegidos. Respecto a los ácidos endógenos, el reflujo gastroesofágico o la regurgitación tendrán que ser tratadas por un especialista. En los pacientes que poseen un alto riesgo de erosión dentaria, será conveniente que utilicen cepillos con cerdas blandas ya que un cepillado enérgico con un cepillo de consistencia dura combinaría los efectos erosivo y abrasivo, aumentando la pérdida de esmalte y la apertura de túbulos, con lo que incrementaría la SD. En los pacientes con dentina expuesta, por una enfermedad periodontal por ejemplo, será importante, también, enseñar una técnica de cepillado adecuada, así como el uso de un cepillo de cerdas con punta redondeada y consistencia media o blanda, desaconsejando el uso de productos abrasivos aplicados con el cepillo.

69 eldentistamoderno mayo/junio 2024
Laura Ceballos Catedrático de Universidad. Universidad Rey Juan Carlos. M. Carmen Llena Catedrático de Universidad. Universitat de València. Yolanda Martínez Beneyto Profesora Contratada Doctora. Universidad de Murcia. Jose Mª Montiel Profesor Titular. Universitat de València. Artículo patrocinado

documento de consenso

Documento de Consenso del I Advisory Board

Español sobre Manejo de la Sensibilidad Dentinal

El grupo de este AB está compuesto por las Dras. Laura Ceballos, Catedrático de Odontología Conservadora (Universidad Rey Juan Carlos); Carmen Llena, Catedrático de Odontología Conservadora y Endodoncia (Universitat de València); Yolanda Martínez, Profesora Contratado Doctor de Odontología Preventiva (Universidad de Murcia); y José María Montiel Profesor titular de Odontología Preventiva y Comunitaria (Universitat de València). Comenzó su trabajo en junio de 2023. Entre sus prioridades destacan:

1. Evaluar la evidencia disponible acerca del uso de diferentes productos de uso domiciliario para el tratamiento de la SD. En base a los resultados obtenidos, se sintetizarán los datos más relevantes, que permitan determinar la eficacia de las diferentes estrategias para el tratamiento de la SD.

2. Si es posible, con la información obtenida, elaborar un protocolo de consenso para el tratamiento de la SD, teniendo en cuenta los diferentes factores etiológicos y mecanismos de actuación de los productos evaluados, basado en la evidencia que pudiera servir de guía en la práctica clínica.

células despolarizadas, reduciendo la excitabilidad nerviosa y, por tanto, la respuesta de las células al estímulo. Para la oclusión de los túbulos dentinarios se han propuesto diferentes principios activos, como los fluoruros, oxalatos, arginina, sales de estroncio, cristales bioactivos, nano hidroxiapatita, péptidos autoensamblados, glutaraldehído, adhesivos dentinarios o terapia con láser. Algunos autores proponen la aplicación de algunas de estas fórmulas mediante iontoforesis.

Los productos de uso domiciliario en diferentes formas de presentación -pastas dentífricas, geles, colutorios o chicles con componentes desensibilizantes- son los más utilizados para el tratamiento de la SD, al menos en una primera fase, porque son sencillos, no invasivos y tienen una relación coste-beneficio favorable.

Resultados del estudio

Listado participantes:

más de 900 Profesionales

Dentales han participado en el estudio

Dado que la SD puede promover cambios de comportamiento e influir negativamente en la calidad de vida, es importante evaluar si los tratamientos disponibles pueden mejorar la calidad de vida de las personas. A lo largo de los años, se ha defendido el uso de una gran cantidad de agentes, tanto de uso domiciliario como administrados por profesionales, para aliviar la SD. En la literatura, se han descrito diversos agentes desensibilizantes con mecanismo de acción diferente. Todos presentan un cierto grado de eficacia, sin embargo, no se dispone todavía de un patrón oro de referencia.

De forma general, para el tratamiento de la SD, además de evitar los estímulos nociceptivos que la provocan, existen dos estrategias, modificar la respuesta nerviosa, modificando o impidiendo la transmisión neuronal, o bien ocluyendo los túbulos dentinarios permeables. Dentro del primer grupo, se incluirían los compuestos a base de potasio (cloruro, nitrato, fluoruro), los cuales cambian el potencial eléctrico de las

Según nuestro conocimiento, desde el año 2000, se han publicado 13 metaanálisis en los que se evalúan productos comerciales de uso sin control profesional con diferentes formas de presentación para el tratamiento de la SD primaria, no relacionada con patología dental o tratamientos que potencialmente pueden provocarla. Dos hacen referencia a enjuagues como medida complementaria al cepillado diario con pasta dental fluorada y los 11 restantes a pastas dentales con diferentes componentes, esencialmente, compuestos a base de arginina, nano hidroxiapatita, sales de potasio, fluoruro de estaño, sales de estroncio, compuestos a base de calcio y fosfato amorfo (ACP) o calcio-sodio fosfosilicato (CSP) con diferentes formulaciones, utilizando como placebo compuestos a base de fluoruro sódico o monofluorofosfato o controles negativos basados en los mismos componentes que la pasta a estudio excepto el agente activo. La mayoría de los metaanálisis expresan que los ensayos clínicos analizados tienen un nivel entre moderado y bajo de evidencia. Aunque los resultados en cuanto a eficacia son dispares, la mayoría de los estudios hallaron que los compuestos a base de sales de potasio, arginina, nano hidroxiapatita, fluoruro de estaño y CSP fueron efectivos en la reducción de SD.

La arginina al 8% con carbonato cálcico y fluoruro sódico (elmex®), se ha demostrado más eficaz que una pasta fluorada, el acetato de estroncio y flúor o el nitrato potásico y flúor en reducir la SD. 

SENSIBILIDAD DENTINAL 70 eldentistamoderno mayo/junio 2024

Ahora puede liberar a sus pacientes del dolor provocado por la sensibilidad con elmex® SENSITIVE

PROFESSIONAL™

• Dentífrico médico.

• Tecnología Pro-Argin clínicamente probada.

• Bloquea el dolor de forma inmediata.

71 eldentistamoderno mayo/junio 2024 Elige certeza C.N.: 199058.7

documento de consenso

2.153

LOS CANINOS REVELAN NUEVAS CLAVES PARA LA ESTIMACIÓN DEL SEXO DE POBLACIONES HUMANAS

Un estudio del Grupo de Antropología Dental del Centro Nacional de Investigación sobre la Evolución Humana (CENIEH) describe las principales diferencias morfológicas existentes en las estructuras internas de los colmillos de hombres y mujeres de poblaciones actuales y destaca la utilidad de esta pieza dental para la creación de perfiles biológicos, así como la relevancia de técnicas de antropología virtual, como el micro-CT o la morfometría, en el estudio de restos humanos en contextos históricos o forenses.

investigación ANTROPOLOGÍA DENTAL 74 eldentistamoderno mayo/junio 2024
Dra. Cecilia García Campos (Grupo de Antropología Dental del CENIEH), especialista en el estudio del dimorfismo sexual presente en la dentición humana.

El todoterreno de la cementación

Variolink® Esthetic

- Solución versátil para todo tipo de restauraciones y materiales

- Gama de colores Effect compacta y equilibrada para unos resultados estéticos impresionantes

- Procesamiento sencillo gracias a la consistencia situacional[1]

siguiendo la evolución de la Odontología
ivoclar.com Making People Smile

investigación

La Dra. Cecilia García Campos, del Grupo de Antropología Dental del CENIEH, es especialista en el estudio del dimorfismo sexual (diferencias entre machos y hembras) presente en la dentición humana. En el desarrollo de su tesis doctoral identificó diferencias en el tamaño de la dentina entre los hombres y las mujeres tanto en las poblaciones actuales como en poblaciones fósiles. La dentina es un tejido mineralizado, similar al tejido

Esta investigación abre las puertas al desarrollo de nuevas técnicas de estimación sexual que son especialmente útiles en contextos muy destructivos, en los cuales solo los dientes son capaces de perdurar o donde el ADN se destruye, y en concreto cuando trabajamos con restos de individuos infantiles ”

Dra. Cecilia García Campos (Grupo de Antropología Dental del CENIEH)

óseo, que constituye la mayor parte del diente y que se encuentra por debajo del esmalte, el tejido más externo y visible. Este tejido da soporte a la estructura dental y protege la cámara pulpar, que se encuentra alojada en su interior, donde se encuentra el tejido conectivo, vasos sanguíneos y nervios dentales.

Una vez finalizada su tesis doctoral, y debido a los resultados obtenidos, la Dra. García se propuso tratar de hallar diferencias morfológicas en la superficie de la unión esmalte-dentina o EDJ (siglas de la terminología en inglés Enamel-Dentine Junction). Para ello, planteó un estudio preliminar que se desarrollaría en forma de Trabajo de Fin de Máster que ofertó, junto con el Dr. Daniel García, dentro del Máster Interuniversitario en Antropología Física: Evolución y Biodiversidad Humana. Fue cuando la entonces estudiante del Máster y actual estudiante de doctorado, Cecilia Yacobi Izquierdo, se interesó por esta línea de investigación. Según explican sus responsables, “por un lado, este trabajo tenía como objetivo explorar las posibles similitudes y diferencias presentes en la morfología de la dentina de los caninos permanentes de los hombres y las mujeres actuales. Se eligió esta pieza dental, los caninos (comúnmente conocidos como

Principales diferencias en la morfología de la dentina de los caninos permanentes de los hombres y las mujeres de las poblaciones actuales/C. García Campos

ANTROPOLOGÍA DENTAL 76 eldentistamoderno mayo/junio 2024

siguiendo la evolución de la Odontología

colmillos), por ser la que presenta diferencias más marcadas entre ambos sexos en los primates, en general, y en los seres humanos, en particular. En segundo lugar, se pretendió explorar el potencial que podría tener el estudio de la morfología de la dentina a la hora de elaborar nuevas técnicas o metodologías de estimación sexual, que pudieran ser aplicadas tanto en paleoantropología, arqueología, o incluso en muestras forenses. Este segundo objetivo surge de la necesidad que existe en antropología física de crear nuevas metodologías que permitan estimar el sexo de individuos infantiles en aquellos casos en los que el análisis de ADN no es posible. Los individuos, mujeres u hombres, que no han superado la adolescencia, no presentan rasgos sexuales secundarios en su esqueleto que permitan estimar el sexo con fiabilidad. Sin embargo, estas personas sí que presentan rasgos dismórficos en sus dientes, ya que estos se forman pronto en la vida de los individuos y su morfología no varía”, destacando que “esto ofrece una oportunidad única para tratar de hallar características que nos permitan distinguirlos”.

Técnicas novedosas para la evaluación de la dentina Para la evaluación de la dentina, los responsables de esta investigación han empleado la combinación de varias técnicas novedosas. Por un lado, la microtomografía axial computarizada o micro-CT. “Esta técnica, similar a los TAC médicos, permite crear modelos digitales 3D de las estructuras esqueléticas, en este caso de los dientes, y a acceder al análisis de sus estructuras internas con muchísima precisión. En nuestro estudio la microtomografía nos ha permitido acceder a la dentina, aislarla

y medirla de manera virtual, con gran precisión y, sobre todo, sin dañar la muestra original”, explican. El micro-CT se caracteriza por contar con una destacada resolución, ya que emplea mayor radiación. “Como ya hemos mencionado, al igual que los TACs permite crear modelos digitales 3D de los objetos que se escaneen, en este caso de los dientes. Asimismo, permite acceder al análisis de sus estructuras internas con muchísima precisión. Cuando hablamos de altísima resolución, hablamos de información a escala micrométrica. A través del micro-CT se puede llegar incluso a medir el grosor de los tejidos, el diámetro de capilares sanguíneos o el tamaño de poros. Otra de las ventajas del micro-CT es que se trata de una técnica no invasiva que permite desde el estudio de la muestra sin destruirla o alterarla”, añaden. Por otro lado, para analizar la forma de la superficie de dentina y poder compararla, se han aplicado técnicas de morfometría geométrica 3D. Según indican, “estas técnicas aplican diferentes algoritmos matemáticos que permiten analizar estadísticamente si la forma de dos objetos, en este caso dientes, se parecen o no, o cuánto de parecidas o diferentes son”.

77 eldentistamoderno mayo/junio 2024
Exhumación. Modelos tridimensionales.

investigación

Resultados

Respecto a los principales resultados de esta investigación, sus responsables indican que “nuestro estudio mostró que la morfología de la dentina de los caninos permanentes es diferente en los hombres que en las mujeres. En concreto, la EDJ de las mujeres presenta una morfología más ancha y redondeada, con menor desarrollo de las crestas y fosas, mientras que los caninos de los hombres tienen una superficie de la EDJ más estrecha y alargada, dándoles un aspecto afilado, con mayor relieve”. Y añaden que “estas diferencias podrían deberse a la retención de una estructura conocida como el complejo cortador canino-permolar. Los seres humanos somos primates antropoideos. En los primates antropoideos, por lo general, los machos presentan unos caninos mucho más grandes y afilados, que emplean como arma, o para la amenaza, en la defensa del territorio o en los conflictos con otros machos por el acceso a las hembras. Es importante que los caninos se mantengan afilados y por ello se genera una estructura con los primeros premolares que permite que esto sea así. En nuestro linaje evolutivo este complejo desaparece y las diferencias en los caninos de los machos y

las hembras disminuyen hasta no ser apreciables a simple vista. Curiosamente esto ocurre muy pronto, ya se observa en los Australopithecus. Sin embargo, la dentina es conservadora, podríamos decir que le cuesta más cambiar. Las diferencias que hemos hallado en la EDJ o superficie de dentina concuerdan con este hecho”.

Acerca de los resultados de este trabajo, los investigadores resaltan que “lo que nos muestran nuestros resultados es que a pesar de que las diferencias en el tamaño y morfología de los caninos de los hombres y las mujeres actualmente no son apreciables a simple vista, a nivel macroscópico, sí lo son a nivel microscópico. Hoy en día podemos reconocerlas y medirlas gracias a la aparición de nuevas técnicas como el micro-CT o la microtomografía computarizada. Todo ello abre las puertas al desarrollo de nuevas técnicas de estimación sexual que son especialmente útiles en contextos muy destructivos, en los cuales solo los dientes son capaces de perdurar o donde el ADN se destruye, y en concreto cuando trabajamos con restos de individuos infantiles”. Además, esta investigación destaca “la relevancia que está cobrando y cobrarán las técnicas de antropología virtual, tales como el micro-CT o la morfometría, en el estudio de restos humanos, tanto en contextos históricos como forenses”, explican. Y también “nos muestra el potencial del estudio de la dentina, una estructura que hasta ahora no ha recibido mucha atención, sobre todo debido a la dificultad que conllevaba el acceder a ella para su estudio. Gracias a este trabajo, y a muchos otros, se puede apreciar que precisamente su carácter conservador puede ser muy útil sobre todo en estudios filogéneticos o taxonómicos en paleoantropología. Y para finalizar, hemos sido capaces de describir nuevos rasgos que pueden ser empleados para la estimación del sexo de individuos a partir de los 6 años, lo que sin duda resultará de gran utilidad para el análisis de muestras fósiles y, quizás, forenses”. 

ANTROPOLOGÍA DENTAL 78 eldentistamoderno mayo/junio 2024
Morfometría geométrica. Microtomografía axial computarizada.
ULTRADENT.ES | info@ultradent.es 696 616 752 Área Norte - 616 982 237 Área Levante - 699 888 731 Área Centro MÁS ESTUDIADO Y PROBADO QUE CUALQUIER BLANQUEADOR DENTAL PROFESIONAL

EL CONSEJO GENERAL DE DENTISTAS EXPRESA SU PREOCUPACIÓN POR LA ELIMINACIÓN

PREMATURA DE LA AMALGAMA DENTAL Y SU DISPONIBILIDAD EN EUROPA

El pasado 10 de abril se votó la revisión del Reglamento sobre el mercurio en el Pleno del Parlamento Europeo. En dicha votación, se aprobó el acuerdo político provisional existente con los Estados miembros de la UE. Según el proceso habitual, ahora la legislación también debe ser adoptada por el Consejo Europeo antes de ser publicada en el Diario Oficial de la UE y entrar en vigor 20 días después. En resumen, las principales disposiciones legislativas sobre el uso de amalgamas dentales son:

 El texto adoptado elimina progresivamente el uso de amalgamas dentales en la UE a partir del 1 de enero de 2025, excepto si el odontólogo lo considera estrictamente necesario y en función de las necesidades médicas específicas del paciente; aunque no es el caso de España, es posible una excepción hasta el 30 de junio de 2026 para aquellos países que aún no hayan ajustado sus sistemas de reembolso para cubrir las alternativas, con el fin de evitar efectos negativos en las personas con bajos ingresos. Para esta excepción deben cumplirse unas condiciones específicas.

 La exportación de amalgama dental estará prohibida a partir del 1 de enero de 2025, mientras que la fabricación e importación en la UE estarán prohibidas a partir del 1 de julio de 2026. A modo de excepción, se permitirá la fabricación e importación después de esta fecha para necesidades médicas específicas. El Consejo General de Dentistas, que representa a más de 40.000 dentistas en España, como miembro del Consejo de Dentistas Europeos (CED) y en interés de los pacientes, considera primordial una atención sanitaria bucodental “accesible y de alto nivel”. En este sentido, aunque en España casi no se utiliza, desde el Consejo General de Dentistas son partidarios de la reducción gradual del uso de amalgama dental, pero no su eliminación prematura, ya que supondría “un impacto perjudicial en la salud y el bienestar de los países más desfavorecidos” y añaden que “nuestra crítica a esta acción reguladora se basa en el hecho de que ya existían medidas y recomendaciones concretas y acertadas que se aplicaban entre los Estados Miembros, y gracias a los esfuerzos de los dentistas”. 

ÓSCAR CASTRO DEFIENDE LA INDEPENDENCIA DE LA ORGANIZACIÓN COLEGIAL DE DENTISTAS PARA REGULAR LA DEONTOLOGÍA DE LA PROFESIÓN

Elpresidente del Consejo General de Dentistas de España, el Dr. Óscar Castro Reino, ha criticado la aprobación del Real Decreto 435/2024, que establece que la Comisión Nacional de los Mercados y la Competencia (CNMC) emita un informe preceptivo, no vinculante, sobre las propuestas de nuevos códigos deontológicos o modificaciones de éstos y que obliga a los colegios a motivar cualquier desacuerdo con las observaciones de la CNMC.

Ante este hecho, el presidente del Consejo General ha defendido la autonomía de la Organización Colegial de Dentistas para implantar o modificar su propio código deontológico y ha considerado que este Real Decreto supone una “injerencia inadmisible” en las competencias colegiales consagradas en las leyes y en nuestra jurisprudencia. “Nuestra Organización no puede admitir ni tolerar ningún tipo de injerencia por parte de organismos externos en lo que respecta a nuestro código deontológico, que garantiza unos altos estándares de calidad asistencial en nuestra rela-

ción con los pacientes”, ha explicado, al mismo tiempo que ha recordado que los principios éticos y deontológicos abarcan aspectos como “la honestidad, la confidencialidad, la competencia profesional, y el compromiso de mantenerse actualizado para ofrecer la mejor atención posible”. En este sentido, ha argumentado que los diferentes consejos generales y colegios oficiales de las profesiones sanitarias deben mantener íntegras sus competencias para garantizar la protección al paciente, la cohesión profesional, la capacidad de autorregulación y la credibilidad merced al compromiso con altos estándares éticos y profesionales.

“Solo los consejos generales y colegios profesionales sanitarios están verdaderamente capacitados para evaluar y actualizar las normas éticas de cada profesión, siempre en defensa de la integridad y la independencia frente a intereses comerciales o políticos externos, y con el objetivo final de garantizar la salud de nuestros pacientes”, ha concluido. 

actualidad NOTICIAS 80 eldentistamoderno mayo/junio 2024

EXPERTOS MUNDIALES HACEN UN LLAMAMIENTO A CONTROLAR LA GINGIVITIS Y NO ESPERAR HASTA

QUE SE DESARROLLE LA PERIODONTITIS

Dar prioridad a la prevención y tratamiento de las enfermedades periodontales y la promoción de la salud periodontal es esencial para mejorar los resultados generales de salud, preservar los dientes naturales, reducir los costes de atención médica, mejorar la calidad de vida y promover la salud pública en general. Así se ha destacado en una Cumbre Internacional de Expertos, que se ha celebrado en la Casa de las Encías de Madrid (España), sede de la Fundación SEPA, donde se ha puesto en común el conocimiento actual y se ha analizado exhaustivamente la literatura científica y las directrices internacionales imperantes para tratar de aclarar el papel de ciertos colutorios en la higiene bucal, y en el tratamiento de la gingivitis y la prevención de la periodontitis.

“Las enfermedades periodontales son muy prevalentes en todo el mundo y afectan a cientos de millones de personas”, asegura la coordinadora del encuentro, la Dra. Paula Matesanz, vicepresidenta de SEPA, quien admite que “centrarrnos en la prevención y promoción de la salud periodontal a nivel poblacional permite reducir la carga de esta enfermedad, mejorar la equidad en salud bucal y promover la salud pública en general”. Y para alcanzar este ambicioso objetivo se cuenta actualmente con recursos eficaces, seguros y aún no suficientemente utilizados.

Los antisépticos bucales (generalmente colutorios o enjuagues antimicrobianos) pueden desempeñar un papel clave en la prevención de las enfermedades periodontales y su recurrencia, dada su capacidad para reducir la formación de biofilm dental. Dependiendo de los principios activos que incluyan, según revela el análisis de la literatura científica, pueden ayudar a reducir la carga bacteriana, funcionar como complemento en las prácticas diarias de higiene bucal, ayudar a reducir los índices de placa e inflamación o, incluso, incorporarse como recursos adicionales en programas de mantenimiento periodontal, ayudando a

preservar la salud y el soporte periodontal, así como colaborando en el éxito a largo plazo del tratamiento periodontal.

De ahí la necesidad de acercar las guías de práctica clínica, desarrolladas por la Federación Europea de Periodoncia, y adaptadas por SEPA para su uso en España, a los profesionales de la salud bucal, a médicos y farmacéuticos, a pacientes y a la población general, “de manera que el conocimiento científico sea más accesible y favorable para el acceso a un recurso capaz de mejorar la salud”, indica la Dra. Matesanz. Esto evidencia el interés, novedad y trascendencia de esta reunión de expertos, que radica tanto en la cualificación y excelencia de los participantes como en la necesidad de que los profesionales de la Odontología dispongan de recomendaciones prácticas, sencillas y fáciles de asumir sobre el empleo de los antisépticos bucales que, como destaca la vicepresidenta de SEPA, “no sustituyen al cepillado dental, pero pueden ser valiosos complementos para apoyar la salud periodontal”. La Guía de Práctica Clínica para el Tratamiento de la Periodontitis en los estadios I-III, desarrollada por la Federación Europea de Periodoncia y que ha sido traducida a muchos idiomas y adaptada para su uso en muchos países del mundo, es una de las principales fuentes de información y orientación sobre la prevención y manejo de la periodontitis. En este caso, como detalla el Dr. Iain Chapple, profesor de Periodoncia y jefe de Investigación del Institute of Clinical Sciences de la Universidad de Birmingham (Reino Unido), “la evidencia derivada de revisiones sistemáticas para el uso complementario de los antisépticos bucales fue sólida pero, debido a las implicaciones de costes, factores ambientales y la presencia de alcohol en muchos enjuagues bucales, el consenso fue reducir la recomendación de fuertemente favorable a una recomendación ‘abierta’”, un aspecto que ha querido aclararse y superarse con esta reunión de expertos, de la que se extraerá próximamente un informe que espera tener una amplia difusión e implantación mundial. 

actualidad NOTICIAS 82 eldentistamoderno mayo/junio 2024

SEPA Y SED DEMANDAN AL SNS LA AMPLIACIÓN DE LA COBERTURA DE ATENCIÓN BUCAL

A LAS PERSONAS CON DIABETES

Expertos de la Sociedad Española de Periodoncia (Sepa) y la Sociedad Española de Diabetes (SED) solicitan a las autoridades sanitarias que asuman la evidencia científica y aborden el manejo de las enfermedades periodontales en personas con diabetes como una cuestión de salud pública. En concreto, demandan ampliar la cobertura de atención bucodental a las personas con diabetes. La exigencia se apoya en un informe sobre la asociación entre diabetes y enfermedades de las encías (como la gingivitis o la periodontitis). Desde el grupo de trabajo Sepa-SED se entiende la necesidad e importancia de ampliar la cobertura de servicios bucodentales en pacientes de riesgo, como lo son las personas con diabetes. Es un trabajo en el que están inmersos desde hace años y que ahora cristaliza en un documento que supone una llamada a la acción para las autoridades sanitarias. “No podemos continuar dejando de lado las coberturas del sistema público a la salud de las encías, ya que existe evidencia firme y concluyente sobre el impacto que algunas enfermedades periodontales tienen en la calidad de vida de los pacientes y en otras múltiples enfermedades. No se puede tener buena salud general sin una óptima salud bucal”, afirma el Dr. Eduardo Montero, periodoncista e integrante del grupo de trabajo Sepa-SED. Por su parte, la vicepresidenta de Sepa, la Dra. Paula Matesanz, asegura que “la evaluación del estado de las encías de las personas con diabetes podría ayudar a prevenir o a detectar precozmente un gran número de casos de periodontitis y a reducir la morbilidad asociada a esta patología”.

Beneficios esperados

Teniendo en cuenta la relación bidireccional existente entre la diabetes y la periodontitis, sumada a su enorme prevalencia, el riesgo de complicaciones y los costes sanitarios asociados de ambas, “no cabe duda de que trabajar en su detección y prevención adquiere una dimensión estratégica tanto a nivel individual como a nivel comunitario, que puede ser tan importante como el trabajo con los grupos de población previamente enumerados”, señala la vicepresidenta de Sepa, Paula Matesanz. “Es necesario que los sistemas públicos de salud garanticen una evaluación del estado de salud de las encías de las personas con diabetes”, según defiende la Dra. Matesanz, quien recuerda que “hay una sólida evidencia que avala la utilidad del tratamiento periodontal para mejorar el control de la glucemia en personas con diabetes, reduciéndose el riesgo de complicaciones”. Las implicaciones de esto, en cuanto a reducción de costes económicos para los servicios sanitarios asociados al manejo de la diabetes, han sido confirmadas en distintos estudios.

Desde la SED, como destaca su presidente, el Dr. Francisco Javier Ampudia Blasco, que es jefe de Sección del Servicio de Endocrinología y Nutrición del Hospital Clínico Universitario de Valencia y profesor en la Facultad de Medicina de la Universidad de Valencia, “recomendamos un control exhaustivo de la salud bucal en las personas con diabetes, y que acudan regularmente a su consulta dental, ya que un buen control de la salud de sus encías no sólo les asegura una dentadura sana y evitar enfermedades como la periodontitis, sino que también reduce el impacto negativo que todo esto tiene sobre la diabetes y sus complicaciones”.

Ampliar la cobertura de atención periodontal en las personas con diabetes ofrece, según los firmantes de este informe, beneficios múltiples y que repercuten en diferentes ámbitos. Por un lado, como indica el Dr. Montero, “redundará en una mejora de la salud periodontal de los pacientes con diabetes y facilitará el control glucémico de estos, reduciendo la incidencia de complicaciones asociadas a la diabetes (nefropatías, retinopatías, neuropatías, patologías cardiovasculares…)”. Pero, además, según añade este experto, “todo esto también supondrá para las arcas públicas una importante reducción de los costes destinados al manejo de las complicaciones de la diabetes”. 

83 eldentistamoderno mayo/junio 2024
De izq a dcha.: Eduardo Montero, Juan Francisco Perán, Paula Matesanz, Cristina Serrano, Laura Sánchez, Virgnia Bellido, Miguel Carasol y Ángel Ramírez. FOTO: Sepa

EL ACCESO A LA TECNOLOGÍA SANITARIA, CLAVE PARA LA MEJORA DE LA SALUD BUCODENTAL EN LAS PERSONAS CON DISCAPACIDAD

Factores como el incremento de la esperanza de vida hace que, en algún momento, cualquier persona sea susceptible de convertirse en pacientes con discapacidad física, cognitiva o sensorial. La necesidad de que estos pacientes puedan tener una atención específica para el cuidado de la boca y cómo impacta en su bienestar y salud general han sido algunos de los asuntos abordados en la Jornada “Aportación de la Tecnología Sanitaria a la salud bucodental en las personas con discapacidad”, organizada por la Fundación Tecnología y Salud, de la Federación Española de Empresas de Tecnología Sanitaria (Fenin); y la Fundación Ortega Marañón (FOM); enmarcada en las iniciativas impulsadas por la cátedra interuniversitaria “Tecnología, Salud y Sociedad”. Algunas clínicas dentales utilizan tecnologías concretas y adaptadas a las personas con discapacidad según la especificidad de su condición, aunque muchos pacientes no son conocedores de ellas. Algunas de estas tecnologías como los sistemas de diagnóstico digital, los equipos dentales que permiten tratar al paciente desde la misma silla de ruedas, el instrumental rotatorio con menor impacto sonoro, los materiales odontológicos que reducen el tiempo de aplicación de los productos, o los sistemas de sedación consciente, permiten tratar a pacientes en situaciones complejas minimizando los riesgos de alteración del comportamiento. Otros productos, como las férulas para el control del bruxismo o los irrigadores, que maxi-

mizan la efectividad y facilidad de uso en el control de la placa bacteriana, mejoran considerablemente la calidad de vida de estos pacientes.

Ángela Paredes, patrono de la Fundación Tecnología y Salud y vocal de la Junta Directiva del sector Dental de Fenin, ha señalado la importancia de que todos los agentes implicados en la atención bucodental a estos pacientes analicen conjuntamente cuáles son sus necesidades con el fin de ofrecerles un abordaje más eficiente. 

FENIN Y CEOE SOLICITAN LA INDEXACIÓN DE LOS CONTRATOS PÚBLICOS DE TECNOLOGÍA

SANITARIA PARA ASEGURAR SU ACCESO POR PROFESIONALES Y PACIENTES

Una representación de la Junta Directiva de la Federación Española de Empresas de Tecnología Sanitaria (Fenin), encabezada por su presidente, Jorge Huertas, y el secretario general, Pablo Crespo, ha mantenido un encuentro institucional con el presidente de la Confederación Española de Organizaciones Empresariales (CEOE), Antonio Garamendi. En esta reunión, ambas organizaciones han abordado asuntos prioritarios y de interés común para el sector empresarial y la industria de Tecnología Sanitaria, con la vista puesta en la mejora de la sanidad, la economía y la competitividad del país. Antonio Garamendi y los representantes de la Federación han intercambiado visiones sobre la actual coyuntura geopolítica, económica y regulatoria, y su impacto en la industria nacional. Ambas patronales han mostrado su preocupación por el aumento de la inflación y han coincidido en la necesidad de indexar los contratos

públicos para evitar que haya problemas de acceso a innovaciones tecnológicas de calidad por parte de profesionales sanitarios y pacientes. Por este motivo, urgen al Ejecutivo nacional a que recupere el modelo de indexación anterior a 2015, que permitía actualizar los contratos al IPC, y puesto que la modificación legislativa aprobada en mayo de 2023 resulta imposible de aplicar en la práctica, al no existir indicadores públicos oficiales a los que poder referenciar las materias primas con las que se fabrican los productos sanitarios.

“Es una situación preocupante. Hay que garantizar la viabilidad del sector a través del equilibrio económico-financiero de los contratos públicos. El riesgo es que haya una pérdida de competitividad de España para disponer de la tecnología sanitaria de mayor calidad, penalizando la atención sanitaria de profesionales sanitarios y pacientes”, indica el presidente de Fenin. 

actualidad NOTICIAS 84 eldentistamoderno mayo/junio 2024

MORITZ KEBSCHULL, NUEVO PRESIDENTE DE LA EFP

Moritz Kebschull es el nuevo presidente de la Federación Europea de Periodoncia (EFP), una federación sin fines de lucro de 38 sociedades nacionales de periodoncia. Además de su núcleo europeo, la EFP, con miembros desde Argentina hasta Australia, tiene una agenda global para promover la conciencia sobre la salud periodontal, la ciencia y la importancia de la salud de las encías.

El Profesor Kebschull, que sucede al Dr. Darko Bozic (Universidad de Zagreb, Croacia) como presidente de la EFP, ocupa actualmente la Cátedra de Odontología Restauradora en la Universidad de Birmingham, en Reino Unido, y la Cátedra adjunta en la Universidad de Columbia, en Estados Unidos.

Especialista en Periodoncia formado en Alemania y Estados Unidos, cuenta con una premiada investigación que explora los vínculos entre las características clínicas y los fundamentos moleculares de enfermedades periodontales y periimplantarias y otras enfermedades sistémicas. En Birmingham, está llevando a cabo una importante cartera de

EL PROF. GUILLERMO

PRADÍES, NOMBRADO

programas de investigación financiados externamente, liderando un módulo del Centro de Investigación Biomédica de Birmingham, financiado por el NIHR. Habiendo formado parte de las juntas directivas de las sociedades nacionales británica y alemana, y como miembro del Comité Ejecutivo de la EFP durante los últimos tres años, el profesor Kebschull ha estado impulsando el desarrollo de las directrices la práctica clínica basada en la evidencia para el tratamiento de las enfermedades periodontales en Europa, Reino Unido y Alemania.

La prioridad del profesor Kebschull durante su presidencia será “promover el impacto global de la EFP como la Federación periodontal más grande del mundo, ampliando su liderazgo en directrices para el desarrollo en el campo de la odontología; abriendo caminos para la educación de los profesionales clínicos en periodoncia; e impulsando la ciencia periodontal a través del empoderamiento de los jóvenes investigadores a nivel internacional”. 

PRESIDENTE DEL COMITÉ DE ESPECIALIZACIÓN DE LA EPA

El Prof. Guillermo Pradíes, presidente de SEPES, ha sido nombrado presidente del Comité de Especialización de la European Prosthodontic Association (EPA). El Dr. Guillermo Pradíes presidirá el tribunal de evaluación para otorgar el título de Specialist in Prosthodontics de la EPA.

Tan solo cinco prostodoncistas españoles, incluyendo al Dr. Guillermo Pradíes (especialista Nº 11), los doctores Rafael Martínez de Fuentes (Nº 88), Marta Revilla (Nº 101), Francisco Martínez Rus (Nº 112) y Guillermo Galván (Nº 113), están acreditados con este título europeo de especialistas en prótesis.

Desde 2022 SEPES está integrada en la European Prosthodontic Association y por tanto todos los miembros de SEPES son asimismo miembros de la EPA capacitándoles por ello para presentarse ante el tribunal de evaluación que esta Sociedad convoca anualmente para otorgar dicho título reservado exclusivamente para miembros de la EPA. 

85 eldentistamoderno mayo/junio 2024

LA SEDO LANZA LA CAMPAÑA #SONRÍESEGURO CON MOTIVO DEL DÍA MUNDIAL DE LA ORTODONCIA

Conmotivo de la celebración del Día Mundial de la Ortodoncia (15 de mayo), la Sociedad Española de Ortodoncia y Ortopedia Dentofacial (SEdO) lanzó su campaña #SonríeSeguro. Esta iniciativa busca educar y concienciar tanto a profesionales como a pacientes sobre la importancia vital de contar siempre con supervisión profesional en los tratamientos de ortodoncia y alertar sobre los riesgos de las opciones no supervisadas que se ofrecen en línea. La campaña #SonríeSeguro que acaba de poner en marcha la SEdO tiene como objetivo reforzar la importancia de los tratamientos de ortodoncia seguros y eficaces, y promover el compromiso de la Sociedad con la excelencia profesional y los más altos estándares éticos.

De esta forma, todas las acciones de la campaña están diseñadas para: educar al público sobre los beneficios de los tratamientos de ortodoncia supervisados y los riesgos de las alternativas no profesionales; promover la consulta con odontólogos cualificados para cualquier tratamiento de ortodoncia (recomendar siempre a los pacientes que verifiquen que su tratamiento de ortodoncia lo realice un miembro SEdO como estándar mínimo de calidad); y fomentar una comunidad de aprendizaje y apoyo mutuo entre pacientes y profesionales de la ortodoncia.

Entre los aspectos más destacables de la nueva campaña #SonríeSeguro de la SEdO se encuentran: vídeos educativos cortos, infografías digitales y material divulgativo para clínicas. 

LA EFP CELEBRA EL DÍA DE LA PERIODONCIA Y LA SALUD DE LAS ENCÍAS 2024

Bajo el lema “¡Gums rock! ¡Mantenlas a salvo!”, el 12 de mayo se celebró el Día de la Periodoncia y la Salud de las Encías 2024.  Para esta ocasión, la Federación Europea de Periodoncia (EFP) ha preparado una serie de materiales de comunicación, apostando por un enfoque educativo y enfatizando el vínculo crucial entre el conocimiento y la prevención de las enfermedades periodontales.  Por su parte, desde Sepa han previsto diferentes iniciativas formativas y divulgativas alrededor de este acontecimiento, destacando la presentación de un informe conjunto del grupo de trabajo Sepa-SED, donde se desgrana la estrecha relación entre las enfermedades periodontales y la diabetes. 

LA FDI LANZA UNA CAMPAÑA PARA CREAR CONCIENCIA SOBRE EL IMPORTANTE VÍNCULO

ENTRE LA SALUD BUCAL Y LA SALUD GENERAL

Con motivo del Día Mundial de la Salud Bucodental, celebrado el 20 de marzo, la FDI ha lanzado una campaña para crear conciencia sobre el importante vínculo entre la salud bucal y la salud general. Desde la FDI animan a todos los profesionales a utilizar los recursos disponibles de la campaña para que, en conjunto, la profesión motive a la sociedad a valorar y cuidar su boca. Bajo el lema “Una boca feliz es... un cuerpo feliz”, la FDI pretende, a través de los dentistas, generar conciencia sobre cómo prevenir y controlar las enfermedades bucales.

“Puedes participar en la campaña de diferentes maneras y, sin importar cuán grandes o pequeñas sean tus acciones, todas marcan la diferencia para ayudar a difundir mensajes que promuevan la salud bucodental”, apuntan desde la FDI. 

actualidad NOTICIAS 86 eldentistamoderno mayo/junio 2024

SCOI CELEBRA EL SYMPOSIUM DE GESTIÓN EN LA CLÍNICA DENTAL SCOI-UIC

La Sociedad Científica de Odontología Implantológica (SCOI) continúa apostando por la innovación, la formación imparcial y de calidad. Muestra de ello ha sido el Symposium de Gestión en la Clínica Dental SCOI-UIC celebrado el 13 de abril en el Aula Magna del Campus UIC-Barcelona.

Con un destacado panel de ponentes, durante el encuentro se trataron temas como el control de calidad y la importancia de recoger datos en la consulta, por parte de Pedro Ahumada; la implementación de la metodología LEAN, con Patricia Zubeldia; o la planificación de la cadena de valores, con Leticia Rodríguez.

A continuación, el Symposium siguió con los consejos de Rosa María Ros sobre cómo aprender de las quejas de los pacientes y también de nuestro propio equipo de trabajo; la necesidad de poder disponer de métodos efectivos de financiación, de la mano de Juan José Guarro; y la jornada finalizó con las claves del marketing dental, con Naroa Lozano.

Rosa María Ros (en la imagen) habló sobre cómo aprender de las quejas de los pacientes y también de nuestro propio equipo de trabajo.

Una buena representación de la junta de la SCOI y de la junta de Facultad de Odontología de la UIC estuvieron presentes y disfrutaron de una jornada muy instructiva, junto con más de un centenar de asistentes, en la que además se pudo interactuar con las empresas que patrocinaron el evento: Klockner, Nobel Biocare y Megagen. 

LA APLICACIÓN DE LA IA EN LA GESTIÓN DE LA CLÍNICA Y ATENCIÓN A LOS PACIENTES, PROTAGONISTA DE LA SEGUNDA EDICIÓN DE SMARTCLINIC 3.0 DE SEPES

Del20 al 22 de junio, la localidad costera de Sitges acogerá la segunda edición del innovador SmartClinic 3.0., un exclusivo evento anual de SEPES dedicado a transformación digital de las consultas mediante el uso de herramientas tecnológicas de vanguardia en el campo de la gestión, la atención al paciente, el marketing integrado y la implementación de los recursos de Inteligencia Artificial. Limitado a solo 20 profesionales, este curso promete una experiencia intensiva, inmersiva y personalizada donde la interacción continua entre ponentes, asistentes y empresas participantes es una de las principales características de este curso.

Tras el éxito de su primera edición, SmartClinic 3.0 vuelve con un enfoque especial en la Inteligencia Artificial, prometiendo transformar la forma en que los profesionales y las clínicas abordan la gestión, los procesos y el cuidado dental del paciente. SmartClinic 3.0 está diseñado especialmente para todo tipo de profesionales relacionados con la Odontología, desde gerentes a auxiliares y desde dentistas a técnicos de laboratorio que buscan estar a la vanguardia en la aplicación de tecnologías avanzadas y prácticas innovadoras en su campo y también para aquellos que aún no se han adentrado en ello pero son conscientes de que no pueden quedarse atrás.

“Es una oportunidad excepcional para aquellos interesados en explorar las últimas tendencias en ciberseguridad, marketing digital y gestión de la experiencia del paciente, proporcionando las herramientas necesarias para transformar sus prácticas y mejorar la atención al paciente en un entorno cada vez más tecnológico y competitivo”, indican sus organizadores. En palabras de Guillermo Pradíes, presidente de SEPES, “estamos en el umbral de una nueva era en la odontología. SmartClinic 3.0 no solo es un escaparate de las últimas innovaciones, sino también una plataforma para educar y preparar a los profesionales para los desafíos futuros. Estamos comprometidos en impulsar el cambio y adoptar tecnologías que mejoren los resultados clínicos y la experiencia del paciente”. Pradíes añade que “además pretendemos que el aprendizaje en este curso se haga mediante técnicas de Team Building, Networking y Gamificación, entendiendo que aprender puede ser sumamente divertido. No es un curso al uso, es un curso para aprender mucho, aplicar mucho y pasarlo muy bien en un entorno de inmersión que invita a ello”.

Por su parte, Raúl Calleja, coordinador de SmartClinic, detaca que “este congreso es una oportunidad única para que los profesionales de la salud dental exploren y comprendan cómo las herramientas tecnológicas pueden potenciar la eficiencia y la productividad de sus clínicas”. 

87 eldentistamoderno mayo/junio 2024
SCOI
“THE

ART OF REGENERATION” TOUR, LA NUEVA OFERTA FORMATIVA SOBRE IMPLANTOLOGÍA Y REGENERACIÓN DE BIOHORIZONS CAMLOG

BioHorizons Camlog Ibérica presenta “The Art of Regeneration” Tour, un programa formativo que tiene como objetivo dar a conocer de la mano de reconocidos profesionales los avances más recientes en biomateriales y las últimas técnicas de regeneración. Estos ciclos formativos son el resultado de la experiencia del grupo de empresas BioHorizons y Camlog, asociadas bajo la marca BioHori-

zons Camlog y pertenecientes al grupo de empresas especialistas en implantes y soluciones regenerativas, reconocidas por su enfoque integral e innovador y su amplia cartera de biomateriales en el mercado. El tour llevará sus programas educativos avanzados y de vanguardia a una selección de ciudades tanto en España como en Portugal en 2024 y comienzos de 2025. Los profesionales de la odontología que participen en “The Art of Regeneration” Tour podrán llevar sus conocimientos al siguiente nivel y aprender de reputados expertos en el campo de la regeneración, como los Doctores Gonzalo Blasi, Javier Calatrava, Mariano Escudero, Ricardo Faria de Almeida, Alfonso Gil, Ramón Gómez-Meda, Leticia Sala y Fernando Suárez López del Amo.

A continuación, se incluyen las fechas y ciudades confirmadas para “The Art of Regeneration” Tour:

España:

 Bilbao, 31 de mayo de 2024.

 Barcelona, 6 de junio de 2024.

 Las Palmas, 14 de junio de 2024.

 Alicante, 20 de septiembre de 2024.

 Madrid, 27 de septiembre de 2024.

 Granada, 4 de octubre de 2024.

 Valencia, 25 de octubre de 2024.

 Zaragoza, 8 de noviembre de 2024.

 Santiago de Compostela, 10 de enero de 2025.

Portugal:

 Lisboa, 27 de septiembre de 2024 (formación en inglés). 

LEARNINGSALUGRAFT LLEGA A BILBAO

Salugraft presenta un nuevo curso, esta vez en Bilbao y de manos de los doctores Alberto Ortiz-Vigón y Erik Regidor. Titulado “Manejo de tejidos duros y blandos alrededor de dientes e implantes”, el curso se celebrará el 25 de octubre de 2024 en el centro de formación de Periocentrum Academy Bilbao. En el curso, de formato teórico-práctico, se revisarán técnicas avanzadas de manejo de tejidos blandos y duros que permitirán a todos los participantes enfrentarse con confianza a casos clínicos en campos como cirugía mucogingival, regeneración periodontal, cirugía plástica periimplantaria y cirugía reconstructiva ósea. En el taller, se realizarán prácticas que incluirán el uso de membranas no reabsorbibles, láminas de aloinjerto para técnica Khoury, matriz dérmica acelular y diferentes aplicaciones del ácido hialurónico, entre otras.

Más información en https://salugraftdental.com/curso/curso-salugraft-manejo-tejidos-blandos-y-duros-periocentrum-bilbao/

actualidad NOTICIAS 88 eldentistamoderno mayo/junio 2024

CONGRESO NACIONAL DE HIGIENISTAS BUCODENTALES

2 O

EUROPEAN MEETING

Oviedo 2024

Palacio de Congresos Calatrava 4 y 5 de octubre

DESCARGA TODA LA INFORMACIÓN DE ESTE EVENTO EN TU MÓVIL

Patrocina

Nuevo Set de prostodoncia de Ticare

Entre los lanzamientos que Ticare presenta para 2024 se encuentra el nuevo Set de prostodoncia, en el que se contempla toda la gama de prótesis, destornilladores organizados por categoría y una guía de torques.

Entre las ventajas que destacan desde Ticare de este set se encuentran la comodidad de tener todo en un mismo lugar, el ahorro de tiempo y reducir el estrés de localizar todo el material.

Este set ya se puede adquirir en Genetic, la tienda online de Ticare: www.genetic.ticareimplants.com/tienda/

Ticare Implants www.ticareimplants.com

La zirconia Prettau® Dispersive® de Zirkonzahn está caracterizada desde la fase de producción por matices naturales de color, gracias a una técnica especial que no distribuye los colores en capas, sino que los “dispersa“ de forma homogénea. Con la Gradual-TriplexTechnology, Zirkonzahn ha desarrollado un triple gradiente para la nueva zirconia Prettau® 3 Dispersive®: además del color, el gradiente también abarca a la translucidez y a la resistencia a la flexión. Mientras que la translucidez se desvanece hacia el cuello del diente y es extremadamente alta en el borde incisal, la resistencia a la flexión disminuye hacia el borde incisal y es extremadamente alta en el área cervical. Estas propiedades hacen que la zirconia Prettau® 3 Dispersive® sea ideal para la elaboración de todo tipo de restauraciones, aunque es especialmente adecuada para las restauraciones monolíticas.

Para determinar con precisión y rapidez el color más adecuado de la restauración de zirconia y lograr que sea idéntica al color natural del diente del paciente, se dispone de guías de colores especiales, las Zirkonzahn Shade Guides, que consisten en muestras monolíticas de la gama de zirconia Prettau® Dispersive® con formas de premolar e incisivos inferior y superior, este último con un ligero cutback para obtener una guía de color personalizada. Si la restauración final se fresa a partir de un bloque de material Prettau® Dispersive® idéntico a la guía de colores utilizada, se garantiza que el color final reflejará al 100 % el color natural del diente.

Zirkonzahn www.zirkonzahn.com

Un período de tratamiento más corto gracias al implante de superficie SOI de Osstem

Acortar el tiempo de curación se ha convertido en una realidad con el implante de superficie SOI de Osstem. Sus propiedades bioactivas –gracias al agente tampón añadido como recubrimiento a la superficie SA, seguido de un tratamiento UV al vacío que transforma la superficie de titanio en super hidrófila– favorecen la coagulación de las plaquetas sanguíneas, mejorando 130 veces la adhesión de proteínas, acelerando la formación de coágulos sanguíneos y favoreciendo así la formación de hueso*.

Incluso si queda muy poco hueso residual en la zona del implante estimula la formación de nuevo hueso, optimizando significativamente la osteointegración y aumentando la tasa de éxito de éste. La optimización del equilibrio del pH garantiza una regeneración del tejido más rápida (el índice de contacto hueso-implante después de dos semanas fue del 34% en comparación con el 100% para las superficies de implantes convencionales*).

*Las investigaciones y los ensayos clínicos han confirmado que la solución SOI ayuda significativamente en este proceso, según los resultados de las pruebas internas de investigación y desarrollo de Osstem Implant.

Osstem Implant www.osstem.eu

MATERIALES, INSTRUMENTAL Y EQUIPO 90 eldentistamoderno mayo/junio 2024
novedades
la nueva zirconia Prettau® 3 Dispersive® con Gradual-Triplex-Technology
Zirkonzahn presenta
Material de recubrimiento de la superficie del implante SOI de Osstem.

Nuevo escáner intraoral de tercera generación Medit i900

Medit ha lanzado su escáner intraoral de tercera generación, el Medit i900. Redefiniendo el panorama de los escáneres intraorales, el Medit i900 es una solución integral que elevará las capacidades de la consulta y mejorará la capacidad del clínico para brindar una atención excepcional al paciente. Entre las múltiples ventajas del nuevo Medit i900, desde la compañía destacan las siguientes:

 Interfaz de control táctil: una experiencia de escaneo sin problemas. La interfaz de control del i900 está cambiando la forma en que se utiliza un sistema de escaneado intraoral. Con la innovadora banda táctil de 360 grados del i900, navegar a través del proceso de escaneo ahora es tan fácil como tocar y deslizar. El panel táctil personalizable permite realizar todas las acciones que se necesite sin sacar la mano del escáner, creando una experiencia de escaneo más eficiente e higiénica.

 Motor óptico completamente nuevo de tercera generación. En el corazón del Medit i900 se encuentra su revolucionario motor óptico de tercera generación, que representa un salto cuántico en precisión y adaptabilidad de escaneo. Con una mayor densidad de datos, los escaneos se representan con un detalle incomparable, y las tonalidades vívidas mejoradas proporcionan una representación realista del entorno oral. Una profundidad de escaneo más profunda y un escaneo interproximal mejorado garantizan una cobertura integral, mientras que el escaneo de metal impecable abre nuevas posibilidades en odontología restaurativa. Incluso en condiciones desafiantes, el Medit i900 ofrece escaneos impecables, capacitando a los profesionales con capacidades de diagnóstico inigualables.

 Campo de visión ampliado: disfruta de una experiencia de escaneo más fácil. Reconociendo las diversas necesidades de los profesionales dentales, el Medit i900 ofrece varias características nuevas para garantizar una experiencia de escaneo más fácil. Un campo de visión (FoV) mejorado ahora

permite a los usuarios capturar una gama más amplia de áreas en menos tiempo de escaneo, simplificando en gran medida el escaneo de áreas edéntulas. Ya sea capturando imágenes detalladas de un solo diente u obteniendo una vista completa del arco entero, el Medit i900 proporciona la flexibilidad para satisfacer las demandas clínicas específicas con precisión y exactitud.

 Diseño compacto unibody: donde la comodidad se une a la función. Si bien adopta los avances de la tecnología, el Medit i900 también incorpora un diseño simétrico más delgado. Su diseño unibody evita la contaminación cruzada y facilita la limpieza del proceso del escáner. El diseño más ligero y pequeño del i900 garantiza que toda la experiencia de escaneo sea sencilla y cómoda. El peso estructural del escáner garantiza la comodidad del usuario durante sesiones prolongadas de escaneo.

Medit www.medit.com

Grupo Ziacom lanza Ziaderma, su nueva marca de ácido hialurónico reticulado

Grupo Ziacom, empresa española que se dedica al diseño, fabricación y comercialización de diferentes soluciones de implantología y prótesis dentales, anuncia el lanzamiento de su nueva marca de fillers de ácido hialurónico: Ziaderma, la cual ya está disponible para los profesionales de la salud bucodental interesados en aplicar este nuevo tratamiento en zonas específicas como el perioral y el peribucal. Ziaderma nace fruto del trabajo de un destacado equipo de expertos en dermatología y emerge como una avanzada solución para tratamientos antiaging. Con una innovadora fórmula basada en ácido hialurónico reticulado, ha sido meticulosamente diseñado para proporcionar resultados efectivos y de larga duración. Este compuesto no sólo se encarga de combatir los signos visibles del envejecimiento, sino que también estimula la producción de proteínas fundamentales como el colágeno y la elastina. Gracias a su excepcional capacidad de retención de agua, Ziaderma logra aumentar el volumen y armonizar el rostro de manera notable. Además, se presenta en tres variantes adaptadas a las necesidades específicas de cada área a tratar: Soft, Medium y Deep. Con su nueva gama de inyectables de ácido hialurónico, “Grupo Ziacom reafirma su compromiso con la excelencia en el cuidado estético y bucodental y refuerza el papel de los profesionales de la salud dental

como pioneros en ofrecer soluciones estéticas y de calidad a sus pacientes”, aseguran desde la empresa. Para más información sobre Ziaderma y sus beneficios no dude en ponerse en contacto con Info@ziacom.es o visite la web: www.ziaderma.com

Ziacom Group www.ziacom.com

91 eldentistamoderno mayo/junio 2024

Smartbone de Salugraft Dental, xenoinjertos a medida en solo 4 pasos

Smartbone® on demand es una innovación que completa el catálogo de Salugraft Dental. Se trata de bloques de xenoinjerto bovino híbrido a medida para cirugías procedentes de IBI, Suiza. Según destacan desde la compañía, “el procedimiento no puede ser más fácil: 1. Envías una tomografía computerizada de tu paciente (dicom) con una breve descripción clínica; 2. IBI diseña el injerto de acuerdo con tus prescripciones; 3. IBI produce el injerto personalizado basado en el archivo.stl; y 4. Tres semanas más tarde recibirás el injerto listo para usar”. No requiere ni esterilización ni modelado adicional. Este xenoinjerto es híbrido porque combina matriz ósea mineral bovina con polímeros reabsorbibles

bioactivos y fragmentos de colágeno. Además, Smartbone® se ofrece en 3 versiones distintas: particulada en diferentes volúmenes (partícula pequeña y grande), bloques de 10x10x10mm y 10x10x20mm para alveolos de extracción y dos innovadoras placas de 10x10x4mm y 3x25x15mm.

Más info: https://salugraftdental.com/productos/smartbone-xenoinjertobovino-hibrido/

Salugraft Dental www.salugraftdental.com

Dentaid lanza el nuevo Irrigador Waterpik® Plus Inalámbrico WP-490

Dentaid presenta este año el último avance en tecnología de limpieza bucal: el Irrigador Waterpik® Plus Inalámbrico WP-490. Este dispositivo portátil y recargable promete transformar la rutina diaria de higiene bucal, ofreciendo una solución eficaz para aquellos que buscan profundizar en su limpieza diaria.

El Waterpik® WP-490 es el irrigador con mayor autonomía de la marca, diseñado para proporcionar hasta 45 segundos de irrigación continua. Su cabezal rotativo de 360 grados y sus dos niveles de presión ajustable permiten una limpieza completa y accesible a todas las áreas de la boca, incluso en las más difíciles de alcanzar. El dispositivo incluye cuatro boquillas específicas: una ortodóntica para placa inaccesible y un limpiador lingual, entre otras, facilitando la adaptación a diversas necesidades bucales.

Además de su diseño ergonómico y moderno, el Waterpik® WP-490 es clave para espacios reducidos o para llevar de viaje, asegurando que la higiene bucal no se comprometa nunca, sin importar dónde se encuentre el usuario.

Dentaid www.dentaid.es

novedades MATERIALES, INSTRUMENTAL Y EQUIPO 92 eldentistamoderno mayo/junio 2024

info@eldentistamoderno.com

Participa en la próxima edición 2024-2025

Instrucciones para publicar en “El Dentista Moderno”

OBJETIVOS

El Dentista Moderno es una publicación dirigida al odontólogo profesional. Sus objetivos son la difusión y el intercambio de los conocimientos más avanzados en el campo dental, buscando alcanzar una actualización permanente sobre todas las cuestiones que atañen a su profesión con especial importancia en la actividad clínica.

TIPOLOGÍA DE LOS ARTÍCULOS

El Dentista Moderno, se rige por las normas de calidad para la indexación de revistas científicas españolas, buscando principalmente los siguientes tipos de artículos:

n Artículo de investigación científica y tecnológica. Documento que presenta, de manera detallada, los resultados originales de proyectos terminados de investigación.

n Artículos sobre descripciones de nuevas metodologías o técnicas y/o materiales.

n Artículos sobre casos clínicos. En los que se espera que se presenten situaciones clínicas particulares tanto por sus hallazgos como por su tratamiento.

n Artículos de revisión sobre literatura ya publicada.

POLÍTICAS EDITORIALES

n Originalidad.

Todos los artículos o reseñas que se sometan al proceso de arbitraje de El Dentista Moderno deben ser inéditos. Solicitamos a los autores abstenerse de remitir trabajos que ya han sido publicados parcial o completamente por otros medios -salvo publicaciones en línea de documentos de trabajo (working papers)- o en traducciones a otros idiomas. Si se detectan evidencias de documentos similares o idénticos ya publicados, el trabajo será rechazado automáticamente.

n Sistema de arbitraje.

Todos los artículos que se presenten a la revista para sus ediciones serán sometidos a un proceso de arbitraje “doble ciego” que se realizará con ayuda de pares expertos en cada temática. La participación de los pares será ad honórem y se espera que sea asumido como un pacto de reciprocidad académica, en el que se intenta aportar de manera constructiva a fortalecer (y validar) la investigación y los aportes de otros colegas dentro de la disciplina. En el caso de las reseñas, que son documentos de difusión, podrán ser revisadas por el editor mismo o por otros miembros del equipo editorial de la revista. Su publicación se decidirá de acuerdo con su coherencia temática y textual, su relevancia para el área o según el interés o vigencia de la discusión que proponga. n Exclusividad.

Los artículos que se sometan a arbitraje en El Dentista Moderno no pueden estar siendo evaluados por otras revistas, ni deben presentarse de manera simultánea a otros procesos de arbitraje. n Confidencialidad.

Como el arbitraje se realizará a través de un sistema “doble ciego”, con el fin de garantizar una mayor independencia de la partes (ni los autores ni los evaluadores tendrán entre sí datos de su identidad, perfil académico o procedencia), esa información solo será tratada por los responsables de la revista y no se revelará a terceras partes. Los soportes del proceso de cada artículo se conservarán para efectos de indexación o verificación del arbitraje.

PAUTAS DE PRESENTACIÓN

La solicitud de publicación de cualquier trabajo debe ir acompañada de una carta, firmada por los autores, donde se exponga y declare que el artículo es original y que no está sujeto a una posible publicación en otras revistas. Al mismo tiempo, se debe ceder la propiedad literaria a la editorial, que podrá disponer del trabajo para su publicación en su totalidad o en parte, en España y en el extranjero, sin previa comunicación a los autores.

Si el artículo aparece encabezado por una Institución, la carta debe contener la aprobación del director o de otro posible responsable de la misma.

Los artículos deberá atenerse al siguiente estructura:

n Título y eventual subtítulo:

En una página aparte, con nombres y apellidos de los autores y sus diferentes datos de contacto: teléfono, fax y eventual dirección de e-mail. El título podrá sufrir, por necesidades de espacio, pequeñas variaciones de redacción.

n Resumen:

Deben ser de 250 palabras y comprender, en forma discursiva, los siguientes subcapíulos: objetivos, metodología, resultados y conclusiones para las investigaciones originales; En el caso de las actualizaciones de la literatura ya publicada, deben comprender: objetivos, datos, fuentes, selecciónde los artículos analizados y conclusiones.

n Palabras clave:

En la página del título deberán incluirse también las palabras clave, hasta un máximo de diez.

n Introducción:

Repasará de manera concisa las problemáticas en cuestión mediante una sucinta revisión de la bibliografía reciente y pertinente, el estado actual de los conocimientos y los fines y los objetivos de la investigación propuesta.

n Materiales y metodología:

Se realizará una descripción detallada de los materiales y las metodologías utilizadas. Si las metodologías son ya utilizadas por otros autores es necesario mencionar el trabajo de las que se extraen.

n Resultados:

Exponer de manera clara y concisa los resultados del trabajo, si fuera posible con un análisis estadístico detallado y con la ayuda de oportunas tablas y gráficos.

n Debate:

Recogerá los comentarios de los resultados obtenidos y las comparaciones con otros presentes en literatura. En el debate deberán estar presentes las virtudes y los límites de la metodología utilizada, la importancia de los resultados y sus cotejos clínicos, las hipótesis y las implicaciones futuras.

n Conclusiones:

Significación de los resultados y su aplicabilidad clínica.

n Idiomas:

Serán aceptados los artículos escritos en español y en inglés.

n Extensión:

Los artículos podrán tener una extensión mínima de cuatro mil palabras (4000) y máxima de ocho mil (8000). Las reseñas críticas no deben superar las mil quinientas palabras (1500).

94 eldentistamoderno mayo/junio 2024 INSTRUCCIONES PARA PUBLICAR

n Formato del texto:

El texto ha de enviarse en Word o rtf, con las tablas y gráficos elaborados con Office pegados en ellos. Además de pegarlas en el Word (rtf, odt...), las fotos y otros materiales gráficos deben enviarse aparte [siempre en la versión

n ORIGINAL

De la aplicación utilizada: Photoshop, PowerPoint, Acrobat, Excel...]. Las fotos y capturas deben ir en ficheros jpg, con una resolución de unos 300 ppp (para tener una idea, cada foto, ilustración o pantallazo en jpg debe tener unos 200 KB como mínimo). También se admiten ilustraciones en pdf (siempre con el fichero original pdf separado, y además pegadas en el Word).

Nota muy importante: Una vez pegadas en el Word (o rtf, odt...) las imágenes ya no pueden publicarse impresas en papel. Por ello no puede cumplirse el requisito anterior de enviar ficheros sueltos jpg a base de volver a copiar una imagen ya pegada.

n Vídeo:

Se aceptan películas con los siguientes requisitos: Formato: Flash vídeo; resolución: 640X480 pixel -24 frame/segundo; video mínimo: 750 kbit/sec; audio mínimo: 64 kbit/sec. Duración máxima 5 minutos. Los vídeos serán incluidos en la versión digital de la publicación.

n Envío:

Junto con el artículo, cada uno de los autores incluirá un breve curriculum con sus datos de contacto. El archivo original y sus adjuntos deben ser remitidos a la atención del editor de la revista y al correo electrónico: silvia.decastro@tecnipublicaciones.com.

ESTILO DE CITACIÓN: BMJ-NORMAS VANCOUVER

n Cuerpo del texto:

Aunque no es necesario en las Normas Vancouver mencionar al autor (es) cuando se hace una referencia en el cuerpo del texto, El Dentista Moderno, para evitar confusiones gramaticales o de redacción, prefiere que en la mayoría de los casos se mencionen los apellidos de los autores de los cuales se están tomando ideas, y después se inserte entre corchetes el número de la referencia completa que debe aparecer en el listado final del artículo. Por ejemplo: “Ortiz [1] presenta una metodología para el análisis de este tipo de problemas”. A propósito, todas las referencias que se incorporen en el cuerpo del texto deben relacionarse en la lista de referencias del final del artículo. Igualmente, en el listado de referencias no debe aparecer bibliografía que no se haya usado y citado en el texto (es decir, la correspondencia entre ambas partes debe ser exacta). Las referencias que se vayan incorporando en el texto se deben numerar por orden de aparición entre corchetes “Ortiz [1], Grothendieck [2], Gómez [3] “, y deben organizarse de esa forma en el listado final, no por orden alfabético. Por último, si una misma referencia se usa varias veces en el cuerpo del texto pero es necesario incorporar nueva información sobre el apartado del texto al que se refiere o alguna otra particularidad, se debe indicar luego del número de la referencia, así: “Ortiz [1, p. 84] o Ortiz [1, Fig. 16]”. n Listado de referencias: El listado de referencias debe organizarse por orden numérico que se determina de acuerdo con la aparición de cada referencia en el texto (el primer autor o texto que se cita es el número [1], el segundo el [2] y así sucesivamente). A diferencia de otros estilos, como no hay una organización alfabética de las referencias por apellido, los nombres de los autores deben registrarse comenzando por el apellido y las iniciales de su nombre: “[2] Grotendieck A.”. A continuación, mostraremos el esquema de cómo se debe citar

un libro, un capítulo de libro y un artículo de revista, con algunos ejemplos para cada caso:

n Libro:

Apellidos AA. Título. # ed. Ciudad: Editorial; año.

[1] Gardner E, Simmons MJ, Snutad DP. Principies of genetics. 8th edition. New York: John Willey & sons; 1995.

n Capítulo libro:

Apellidos AA, Apellidos BB. Título del capítulo o la entrada. En: Apellidos AA, Apellidos BB, editores. Título del libro. Ciudad: Editorial; año. p. xx-xx.

[1] Prins R, Clarke RT. Microbial ecology or the rumen. En: Ruckebusch P, Thivend B, editors. Digestive physiology and metabolism in ruminants. 2a ed. Wesport,Connecticut: AVI Publishing company; 1980. p. 179-204.

n Artículo revista:

Apellidos AA, Apellidos BB, Apellidos CC. Título del artículo.

Título. Rev. Año; volumen(número): xx-xx.

[1] Corona M, Díaz G, Paez J, Ferré Z, Ramones E. Extracción y caracterización de pectinas de la corteza de parchita. Rev. Odont. 1996; 13(6): 785-791.

Las Normas Vancouver sugieren que las revistas que se citen en la lista de referencias aparezcan en su forma abreviada, por lo tanto

El Dentista Moderno sugiere que se revisen los siguientes enlaces: http://www.erevistas.csic.es/especial_revistas/revistas54.htm http://www.metodo.uab.cat/docs/Requisitos_de_Uniformidad.pdf http://www.metodo.uab.cat/docs/Requisitos_de_Uniformidad_ Ejemplos_de_referencias.pdf

NOTA LEGAL

Las perspectivas o puntos de vista expresados en los artículos y textos que publica El Dentista Moderno son responsabilidad de sus autores y no comprometen en ninguna medida a la revista, a la Grupo TecniPublicaciones. Asimismo, el propósito fundamental de la revista es prestar un servicio a la comunidad académica y al avance del conocimiento en odontología, por lo que el proceso de selección del material que publica contempla aspectos académicos, editoriales y legales que son evaluados en cada caso para decidir sobre los manuscritos que se reciben. Supeditada a estos factores, la revista no está obligada a la publicación de ningún texto y podrá declinar su publicación en cualquier fase del proceso, si estima que no corresponde a su línea editorial o si contradice alguna de sus políticas editoriales. De igual forma, cualquier reclamación por parte de terceros en relación al uso de obras o extractos de ellas en un artículo o texto, será responsabilidad de los autores exonerando así al Grupo TecniPublicaciones.

REPRODUCCIÓN Y TRADUCCIONES

Si usted desea reproducir o traducir un artículo o texto publicado en El Dentista Moderno,o si desea solicitar autorización para que sea difundido por alguna página web o repositorio institucional,por favor escriba al correo electrónico de la revista (documentacion@tecnipublicaciones.com), a la atención de la directora de Documentación. Los textos publicados en la revista, no obstante, no requieren una autorización especial para que sean reproducidos parcialmente en textos académicos, siempre y cuando se citen adecuadamente, relacionando sus autores, año de publicación, volumen y número en el que fueron publicados originalmente. Cualquier otro tipo de utilización requerirá de la autorización previa y expresa de la Editorial.

95 eldentistamoderno mayo/junio 2024

DO NDE LA TRADICIÓN S E EN CU ENTRA CON LA I NN OV ACIÓN

Mesa, una empresa líder italiana que produce y procesa aleaciones metálicas para el sector dental durante más de 50 años, recientemente ha introducido Igea, una línea de implantes confiable, eficaz y fácil de utilizar a un precio realmente barato.

Contacte para solicitar más información o un presupuesto

Via dell’Artigianato 35/37 25039 Travagliato (BS) ITALY +39 030.6863251 info@mesaitalia.it - www.mesaitalia.it IMPLANT SYSTEM

Ofertas Especiales

HASTA EL 31 DE AGOSTO DE 2024

• Clean Head System (Anti-Retorno) • Portafresas Push Button • Rodamientos de Cerámica

MODELO M25 REF. C1027

• Sin Luz

• Velocidad Directa 1:1

• Spray Simple

• Velocidad Máxima: 40.000 min -1

• Para fresas CA (ø2,35)

MODELO M25L REF. C1024

• Con Luz

• Velocidad Directa 1:1

• Spray Simple

• Velocidad Máxima: 40.000 min -1

• Para fresas CA (ø2,35)

• Clean Head System (Anti-Retorno) • Portafresas Push Button • Rodamientos de Cerámica

MODELO M95 REF. C1026

• Sin Luz

• Multiplicador 1:5

• Spray Quattro

• Velocidad Máxima: 200.000 min -1

• Para fresas FG (ø1,6)

MODELO M95L REF. C1023

• Con Luz

• Multiplicador 1:5

• Spray Quattro

• Velocidad Máxima: 200.000 min -1

• Para fresas FG (ø1,6)

POTENCIA 26W

• Clean Head System (Anti-Retorno) • Torque: 26W • Tamaño del Cabezal: ø12,1 x Al 13,3 mm • Velocidad: 325.000~430.000 min -1 • Cuerpo de Acero Inoxidable • Spray de Agua Quattro • Porta-fresas Push Botton • Rodamientos de cerámica • Fácil cambio del cartucho por el propio usuario

Conexión NSK MODELO M900L REF. P1254

S-Max M TURBINAS
ACERO INOXIDABLE CON LUZ
DE
Conexión KaVo® MULTIflex® MODELO M900KL REF. P1258 2 años de garantía 2 años de garantía OFERTA 1 + 1 OFERTA 1 + 1 OFERTA 1 + 1 2 CONTRA-ÁNGULOS DEL MISMO MODELO 2 CONTRA-ÁNGULOS DEL MISMO MODELO 2 TURBINAS DEL MISMO MODELO M25 M95 M900L M900KL M900L M900KL M25 M95 M25L M95L M25L M95L 649€* 849€* 849€* 1.398€* 1.862€* 1.906€* 849€* 1.049€* 849€* 1.856€* 2.466€* 2.136€* NSK Dental Spain S.A. www.nsk-spain.es Módena, 43 · El Soho-Európolis · 28232 Las Rozas de Madrid · tel: +34 91 626 61 28 · e-mail: info@nsk-spain.es ¡Síguenos! NSK Dental Spain NSK Dental Spain NSK Dental Spain * Los precios no incluyen iva. Ofertas limitadas hasta el 31 de agosto de 2024 o hasta fin de existencias. S-Max M CONTRA-ÁNGULOS DE ACERO INOXIDABLE

Turn static files into dynamic content formats.

Create a flipbook
Issuu converts static files into: digital portfolios, online yearbooks, online catalogs, digital photo albums and more. Sign up and create your flipbook.