El Dentista Moderno - nº 77

Page 1

@dentistamoderno @eldentistamoderno

@eldentistamoderno @eldentistamoderno

www.eldentistamoderno.com

ENTREVISTAS

• Dr. José Vivancos y Dr. Yago Leira, del grupo de trabajo SEPA-SEN

• Prof. Federico Hernández Alfaro, director del Instituto Maxilofacial de Barcelona y Catedrático y Jefe de Departamento de Cirugía Oral y Maxilofacial en la UIC

• Dra. Ruth Pérez Alfayate, presidenta del Comité Organizador del 43 Congreso Nacional de AEDE

IMPLANTOLOGÍA OPINIÓN

Cáncer oral

D4.0

ENTREVISTA

Dr. Alfonso Gil López-Areal, especialista en periodoncia, estética dental y rehabilitación oral

ORAL MEDICINE INSIDE

by

PENSANDO EN EL FUTURO

EFP Innovation Award for Digital Solutions for Gum Health 2023

Siguiendo la evolución de la Odontología para el profesional del sector llamado a construir el futuro

N úmero 77 • Julio-Agosto 2023

INICIO: 26 octubre 2023

LUGAR: Madrid-Valencia

DIRECTORES: Dr. Primitivo Roig y Dr. Pepe Jabaloyes

CÁTEDRA: ESDOC - UPV

ESCUELA EMPRESARIAL PARA DOCTORES Y PROFESIONALES DE LA SALUD Alcanza el equilibrio entre la práctica clínica y la gestión www.esdoc.es 961 333 790 info@esdoc.es
LIMITADAS
PLAZAS
ABIERTA MATRÍCULA

de la periimmplantitis, gracias al hermetismo, un sellado biológico con mejor vascularización y a su simplicidad protésica.

UNA SOLUCIÓN ÚNICA PARA TODAS TUS NECESIDADES

Aumenta la rentabilidad de tu consulta utilizando la solución de implantes BTI CORE®. Su plataforma protésica unificada permite reducir sensiblemente tu inversión en componentes protésicos, minimizando errores en el proceso restaurativo y posibilitando un protocolo más rápido y sencillo.

Flexibilidad sin prededentes

6 diámetros de implantes / 9 longitudes desde 4,5 mm.

Descubre su rentabilidad

1 eldentistamoderno julio-agosto 2023
Bioblock®
BTI Biotechnology Institute · Tel: (+34) 945 140 024 | bti-biotechnologyinstitute.es

sumario

DM eldentistamoderno

Número 77 - Julio/Agosto 2023

En portada:

Imágenes 5 y 6 de la página 25, correspondientes al caso de Implantología titulado “Rehabilitación de maxilar atrófico con técnica All-on-4® Hybrid. Follow-up 6 años”

6

EDITORIAL

Poco se habla de…

Por Eva López de Castro, miembro del Comité Científico de DM Dentista Moderno.

8

IMPLANTOLOGÍA

Implantes ultracortos (4,5 mm de longitud) rehabilitados con proporción corona implante ≥ 3. Estudio retrospectivo

Autor: Dr. Eduardo Anitua

16

OPINIÓN

El cáncer oral y Freud

Por: Dr. Florencio Monje Gil

18

Siguiendo la evolución de la odontología

DIRECTORA

Emiliana Rodríguez Charmes emi.rodriguez@eldentistamoderno.com

SUBDIRECTORA

Beatriz Suárez de la Vega beatriz.suarez@eldentistamoderno.com

REDACCIÓN Y FOTOGRAFÍA

Departamentos propios Versys Ediciones Técnicas

DIRECTOR CIENTÍFICO

Imanol Donnay

COMITÉ CIENTÍFICO

Javier de la Cruz, José Nart, Jesús Daniel Parejo, Juan López Palafox, Miguel Burgueño, Juan Manuel Vadillo, Guillermo Galván, Rafael Martínez de Fuentes, Anna Ramiro, Carlos Repullo, Leticia Rodríguez, Marta Revilla, José María Malfaz, Eva Mª Martínez y Eva López de Castro

DISEÑO Y MAQUETACIÓN

Manuel Beviá

DIRECTORA COMERCIAL ÁREA DE DISTRIBUCIÓN

Mercedes Álvarez mercedes.alvarez@versysediciones.com

DIRECTORA DE CUENTAS DM

Emiliana Rodríguez Charmes emi.rodriguez@eldentistamoderno.com

EJECUTIVA DE CUENTAS DM

Beatriz Montero Fernández de Bobadilla beatriz.montero@eldentistamoderno.com

22

ENTREVISTA

“Es necesario seguir investigando en la relación entre periodontitis y enfermedades neurológicas”

Dr. José Vivancos, jefe de Servicio de Neurología del Hospital Universitario de la Princesa (Madrid) e integrante del grupo de trabajo SEPA-SEN, y Dr. Yago Leira, periodoncista y coordinador del grupo de trabajo SEPA-SEN

IMPLANTOLOGÍA - NOBEL BIOCARE-DM

Rehabilitación de maxilar atrófico con técnica

All-on-4® Hybrid. Follow-up 6 años

Autores: Dres. Alfonso Caballero de Rodas y Eduardo Santana

28

ENTREVISTA

“La principal ventaja de la cirugía ortofacial es que cumple un doble objetivo: salud y estética”

Prof. Federico Hernández Alfaro, director del Instituto Maxilofacial de Barcelona y Catedrático y Jefe de Departamento de Cirugía Oral y Maxilofacial en la UIC

46

ENTREVISTA

“Todas las actividades del 43 Congreso Nacional de AEDE están orientadas hacia la aplicación práctica en la clínica”

Dra. Ruth Pérez Alfayate, presidenta del Comité Organizador del 43 Congreso Nacional de AEDE

eldentistamoderno julio-agosto 2023

2
SUMARIO
EL DENTISTA MODERNO NÚM. 77 JULIO-AGOSTO 2023 AGO ‘23 ENTREVISTAS Dr. José Vivancos y Dr. Yago Leira, del grupo de trabajo SEPA-SEN • Prof. Federico Hernández Alfaro, director del Instituto Maxilofacial de Barcelona y Catedrático y Jefe de Departamento de Cirugía Oral y Maxilofacial en la UIC Dra. Ruth Pérez Alfayate, presidenta del Comité Organizador del 43 Congreso Nacional de AEDE IMPLANTOLOGÍA OPINIÓN Cáncer oral www.eldentistamoderno.com Siguiendo la evolución de la Odontología para el profesional del sector llamado a construir el futuro N úmero 77 • Julio-Agosto 2023 @dentistamoderno @eldentistamoderno D4.0 ENTREVISTA Dr. Alfonso Gil López-Areal, especialista en periodoncia, estética dental y rehabilitación oral ORAL MEDICINE INSIDE by PENSANDO EN EL FUTURO EFP Innovation Award for Digital Solutions for Gum Health 2023
PUEDES IMPRIMIR TODAS ESTAS APLICACIONES EN ODONTOLOGIA. E L F L U J O D E T R A B A J O D E I M P R E S I Ó N D E N T A L 3 D M Á S R Á P I D O SprintRay Europe GmbH Brunnenweg 11 64331 Alemania info.eu@sprintray.com www.sprintray.com 00800 70 70 8000 SOLICITAR UNA MUESTRA

sumario

Impresión: Gama Color

Depósito Legal: M-33444-2013

ISSN: 2340-9703

ISSN (internet): 2340-9797

50 ACTUALIDAD DEL SECTOR DENTAL

62 NOVEDADES

Equipamiento, instrumental y material protésico, dental y clínico

Versys Ediciones Técnicas S.L. Invierno, 17

28850 Torrejón de Ardoz (+34) 912 972 000 administracion@versysediciones.com

CEO

José Manuel Marcos Franco de Sarabia

DIRECTORA DE OPERACIONES

Esther Crespo

DIRECTOR DE EXPANSIÓN

Y DESARROLLO

José Manuel Marcos de Juanes

Copyrigth Versys Ediciones Técnicas S.L. La suscripción a esta publicación autoriza el uso exclusivo y personal de la misma por parte del suscriptor. Cualquier otra reproducción, distribución, comunicación pública o transformación de esta publicación sólo puede ser realizada con la autorización de sus titulares. En particular, la Editorial, a los efectos previstos en el art. 32.1 párrafo 2 del vigente TRLPI, se opone expresamente a que cualquier fragmento de esta obra sea utilizado para la realización de resúmenes de prensa, salvo que cuente con la autorización específica. Diríjase a CEDRO (Centro Español de Derechos Reprográficos) si necesita fotocopiar, escanear, distribuir o poner a disposición de otros usuarios algún fragmento de esta obra, o si quiere utilizarla para elaborar resúmenes de prensa (www.conlicencia.com; 917021970/932720447)

Las opiniones y conceptos vertidos en los artículos firmados lo son exclusivamente de sus autores, sin que la revista los comparta necesariamente.

Premio de Comunicación SECIB 2019

DENTISTA 4.0

34 ENTREVISTA

“El papel de la formación continuada es fundamental para la profesión”

Dr. Alfonso Gil López-Areal, especialista en periodoncia, estética dental y rehabilitación oral

38

ORAL MEDICINE INSIDE by

Un evento que marca un hito en la Odontología: III Congreso Knotgroup “Los Orígenes”

42 PENSANDO EN EL FUTURO

Las soluciones digitales más innovadoras para mejorar la salud periodontal EFP Innovation Award for Digital Solutions for Gum Health 2023

En portada D4.0: Imagen de la página 52 correspondiente a la noticia titulada “El sector dental crece un 2,3% en 2022” de la sección Actualidad.

eldentistamoderno julio-agosto 2023

4
SUMARIO
Accede a El Dentista Moderno
Siguiendo la evolución de la Odontología para el profesional del sector llamado a construir el futuro PENSANDO EN EL FUTURO Las soluciones digitales más innovadoras para mejorar la salud periodontal EFP Innovation Award for Digital Solutions for Gum Health 2023 ORAL MEDICINE INSIDE by Un evento que marca un hito en la Odontología: III Congreso Knotgroup “Los Orígenes” ENTREVISTA Dr. Alfonso Gil López-Areal, especialista en periodoncia, estética dental y rehabilitación oral

Presenta el nuevo

Sistema de implante Facil y Estable

POCO SE HABLA DE…

La salud bucodental finalmente está en la agenda de las políticas mundiales. El Plan de Acción Mundial de Salud Bucodental (OHAP, del inglés Oral Health Action Plan) 2023-2030 de la Organización Mundial de la Salud (OMS) se completó después de una consulta pública en 2022.

Dado que las enfermedades bucodentales son las Enfermedades No Transmisibles (ENT) más prevalentes, es conveniente que los higienistas dentales, como miembros de los equipos de salud bucodental y como expertos en materia de prevención y sobre todo únicos reconocidos legalmente (L 10/1986 de 17 de marzo 1986) como promotores de la salud, conozcamos el Plan de Acción Mundial para la prevención y el control de las ENT.

En la 75ª Asamblea Mundial de la Salud, órgano decisorio de la OMS formado por 194 Estados Miembros –entre los que figura España–, celebrada en Ginebra entre los días 22 y 28 de mayo de 2022, se aprobó la Estrategia Mundial sobre la Salud Bucodental. Desde su aprobación, se ha elaborado un proyecto de Plan de Acción Mundial sobre la Salud Bucodental de 2023 a 2030. Dicho proyecto regula una serie de metas, entre las que figura que para 2030 se pretende que el 5% de los países tengan en funcionamiento una política nacional sobre personal sanitario que cuente con profesionales debidamente formados para atender las necesidades de la población en materia de salud oral.

En esa línea, la Federación Española de Higienistas Dentales (HIDES), la cual presentó alegaciones a dicho Plan de la OMS, trabaja para que los higienistas dentales de nuestro país tengan las mismas oportunidades laborales dentro de la sanidad pública y para que nuestras competencias profesionales se adecuen a las necesidades de la OMS y por ende a las de la población.

Es por eso que HIDES, en el programa científico de su 34 Congreso Nacional –que se celebrará en Valladolid los días 27 y 28 de octubre– ha querido abrir una ventana de formación que facilite el enriquecimiento profesional de los higienistas y que se abran líneas de investigación de calidad, como piezas fundamentales para la consecución de los objetivos de la OHAP. Y se entiende que para que esto ocurra debe ser en un equipo multidisciplinar e interdisciplinar, con el fin de maximizar las mejoras de la salud bucal y general.

6 eldentistamoderno julio-agosto 2023
EDITORIAL
Miguel Burgueño Javier de la Cruz José María Malfaz Rafael Martínez Director Científico de DM Dentista Moderno. Dr. Imanol Donnay José Nart Eva López de Castro Miembro del Comité Científico de DM Dentista Moderno. Eva Mª Martínez

A tenor de la OHAP, en junio de 2022 en España se aprobó en Pleno del Consejo Interterritorial del Sistema Nacional de Salud (SNS) el Plan para la Ampliación de la Cartera Común de Servicios de Salud Bucodental en el SNS, donde se reconoce que la Resolución de la OMS insta a los Estados Miembros a abordar factores de riesgo claves de las ENT como la ingesta elevada de azúcares, el consumo de tabaco y/o el hábito nocivo del alcohol, así como a mejorar las capacidades de los profesionales de la salud bucodental.

Cabe añadir que en la elaboración de este Plan de Salud participaron dentistas en representación de cada CCAA y también se contó con la aportación de Sociedades científicas como SESPO y SEOP; sin embargo, no hubo posibilidad de que el colectivo de higienistas dentales pudiera aportar su amplia visión en dicha gestión.

HIDES, conjuntamente con la International Federation of Dental Hygienist (IFDH) y la European Dental Hygienist Federation (EDHF), participa en programas de adecuación al Plan de Estrategias de la OMS con el fin de buscar soluciones a la situación profesional de los higienistas dentales en nuestro país. Fruto de ello será la reunión que se llevará a cabo el próximo 23 de agosto en Liverpool con la Asociación para la Educación Dental en Europa (ADEE), donde todos los participantes valorarán posibilidades de aprobación del Common European Curriculum (CEC) para higienistas dentales de Europa.

Y es que, si bien en España no todas las CCAA están homogeneizadas en los equipos de salud bucodental, nuestra disposición frente a otros países europeos dista enormemente y esto vulnera los derechos de los higienistas dentales de España.

Y cuando empezamos a valorar las medidas establecidas en la Estrategia del Plan Mundial de Salud, tiene lugar la 76ª Asamblea de la OMS el pasado mes de mayo, de nuevo en Ginebra, coincidiendo con el 75º aniversario de la OMS. Bajo el lema “Salvar vidas, impulsar salud para todos”, en esta reunión anual se aprobó una actualización del menú de opciones políticas e intervenciones rentables para la prevención y el control de las principales ENT y sus factores de riesgo.

Esta actualización representa una oportunidad para prevenir y controlar las enfermedades bucodentales, donde, sin lugar a dudas, la figura del higienista dental juega un papel fundamental y quizás sea la piedra angular de poder alcanzar las medidas de la OMS. Pero no hay que perder de vista que si estas medidas son propuestas a nivel internacional, los higienistas dentales españoles no tienen las mismas posibilidades de gestionar dichas metas que colegas de otros países, por lo que desde HIDES seguiremos trabajando para que la figura del higienista dental de nuestro país tenga el empoderamiento de cualquier otro país vecino.

7 eldentistamoderno julio-agosto 2023
Juan Manuel Vadillo Marta Revilla Carlos Repullo Anna Ramiro Juan López Palafox Jesús Daniel Parejo Leticia Rodríguez

IMPLANTES ULTRACORTOS (4,5 MM DE LONGITUD) REHABILITADOS CON PROPORCIÓN CORONA IMPLANTE ≥ 3.

ESTUDIO RETROSPECTIVO

El principal problema que nos plantean los implantes ultra-cortos (4,5 mm) es la proporción corona-implante que se produce al ser implantes de poca longitud con prótesis generalmente de gran altura. En este estudio analizamos de forma retrospectiva implantes ultracortos con proporción corona-implante mayor de 3 para poder comprender su comportamiento biomecánico y la posible implicación de este ratio en la supervivencia y la pérdida ósea crestal, concluyendo que los implantes de 4,5 mm no han mostrado una pérdida ósea mayor en situación de ratio corona-implante desfavorable incluso superior a 3 como la mostrada en esta serie de casos.

Introducción

Los pacientes con atrofia ósea marcada tanto en horizontal como en vertical son cada vez más numerosos en la consulta dental, principalmente por el aumento de la información entre los pacientes (solicitan tratamientos más novedosos) y por el aumento de la esperanza y calidad de vida en la población. Por ello, los implantes cortos y extra-cortos son cada vez más utilizados en los tratamientos de rehabilitación1. Los implantes cortos son ya una más de las técnicas de rehabilitación del maxilar atrófico que podemos considerar “de rutina”, ya que desde que irrumpen en la odontología han ido consolidándose como una opción mínimamente invasiva y con cifras de supervivencia en torno al 99%2-5. Al igual que las técnicas quirúrgicas sufren avances constantes los diseños de los implantes también, buscándose implantes que con una menor longitud o un menor diámetro nos aporten las mismas características biomecánicas y de supervivencia que los de mayores dimensiones, pudiendo con ellos hacer frente a un mayor número de situaciones clínicas, evitándose en muchos casos los injertos óseos o las regeneraciones previas6-8. Aun así, existen casos en los que estos implantes no pueden insertarse de forma directa debido a la presencia de extremas reabsorciones óseas verticales, horizontales o mixtas que lo impiden9-13. Para solventar estas situaciones de forma mínimamente

invasiva nacen los implantes de menos de 5 mm de longitud, como alternativa terapéutica a los actuales implantes cortos y extracortos, situándose como ultracortos, siendo por lo tanto la opción más innovadora para el tratamiento de la atrofia vertical del maxilar y mandíbula14-17

Estos implantes ultracortos, presentan en la gran mayoría de los casos, una prótesis que asienta sobre ellos que presenta una longitud que duplica o en ocasiones triplica el implante sobre el que asientan. Esto genera un ratio corona-implante de 2:1 o 3:1 que puede producir fuerzas de palanca sobre el hueso crestal que rodea al implante una vez integrado este18. En los implantes cortos y extra-cortos ya se ha documentado ampliamente que la existencia de ratios corona-implante desfavorables no produce una mayor pérdida ósea crestal, pero sobre estos implantes de menor longitud no tenemos datos al respecto, debido a que son de reciente implantación y a que no existen estudios que analicen la influencia de este factor19-24. Por ello, nos planteamos un estudio retrospectivo, donde analizamos implantes de 4,5 mm de longitud, con una proporción corona-implante que podríamos llamar desfavorable (mayor de 3), para analizar si este hecho puede tener repercusión en la pérdida ósea crestal, en la integridad del conjunto implante-prótesis o en la supervivencia de los implantes.

IMPLANTOLOGÍA 8 eldentistamoderno julio-agosto 2023
caso clínico
Contacto: Eduardo Anitua Foundation eduardo@fundacioneduardoanitua.org

Material y método

Se reclutaron pacientes de forma retrospectiva en los que se insertaron implantes de 4,5 mm con prótesis en las que existiese una proporción corona-implante superior a 3 mm. En todos los pacientes se recolectaron variables demográficas, presencia de hábitos nocivos (tabaco y alcohol), datos protésicos (proporción corona-implante) y pérdida ósea marginal (medida en mesial y distal del implante). Los datos fueron recolectados en un cuaderno de recogida de datos para su posterior análisis estadístico siendo la principal variable del estudio la supervivencia de los implantes colocados y como variables secundarias la medición de la pérdida ósea crestal (mesial y distal) y la aparición de complicaciones tanto en la prótesis como en los implantes.

Antes de la inserción de los implantes se utilizó una pre-medicación antibiótica consistente en amoxicilina 2 gr vía oral una hora antes de la intervención y paracetamol 1 gramo vía oral (como analgésico).

Posteriormente los pacientes prosiguieron con un tratamiento de amoxicilina 500-750 mg vía oral cada 8 horas (según peso) durante 5 días. Todos los pacientes fueron estudiados antes de la inserción de los implantes mediante modelos diagnósticos, exploración intraoral y realización de un TAC dental (Cone-bean) analizado posteriormente mediante un software específico (BTI-Scan III). La intervención fue realizada mediante anestesia local y el fresado se realiza a baja velocidad (fresado biológico)25,26. Para la estimación de la pérdida ósea marginal se tomó como referencia una longitud conocida en las radiografías (longitud del implante) para calibrar de ese modo las mediciones realizadas en estas radiografías. A partir de la calibración el software utilizado calcula las mediciones reales (Digora for Windows, SOREDEX Digital Imaging systems). La pérdida ósea crestal marginal se calculó midiendo desde el hombro del implante hasta el primer sitio donde el contacto hueso implante fuese evidente. La referencia para comparar los registros radiográficos y de este modo estimar la pérdida ósea producida en cada uno de los pacientes fue la radiografía realizada en el momento de inserción de la prótesis. Esta radiografía se utilizó por lo tanto como punto de partida para todas las medidas posteriores.

El implante fue la unidad de análisis para la estadística descriptiva en cuanto a la localización, dimensiones del implante, y mediciones radiográficas. La variable principal fue la supervivencia del

implante y como variables secundarias se registraron la pérdida ósea mesial y distal. El ratio corona-implante fue determinado mediante la división de la longitud del implante entre la longitud de la restauración protésica colocada sobre el implante. La medición de la altura de la corona se realizó en el eje mayor de los dientes anteriores y premolares y en la zona media de la corona a nivel del surco vestibular (intercuspídeo) para los molares, hasta la plataforma del implante. La línea de medición debía ser completamente perpendicular a la plataforma del implante formando un ángulo de 90º con la misma. Fue realizado un test de shapiro-Wilk sobre los datos obtenidos para constatar la distribución normal de la muestra.

Las variables cualitativas se describieron mediante un análisis de frecuencias. Las variables cuantitativas se describieron mediante la media y la desviación estándar. La supervivencia de los implantes se calculó mediante el método de Kaplan-Meier. Los datos fueron analizados con SPSS v15.0 para windows (SPSS Inc., Chicago, IL, USA).

Resultado

Fueron reclutados 12 pacientes en los que se colocaron 13 implantes que cumplieron los criterios de inclusión previamente descritos. En cuanto a la patología sistémica asociada, uno de los pacientes fue diabético y uno de los pacientes era fumador. De ellos, un 84,6% fueron mujeres con una edad media de 73 años (+/-5,73). Todos los implantes incluidos en el estudio fueron de 4,5 mm de longitud con diámetros comprendidos entre los 3,50 y 5,50 mm. Los diámetros de los implantes se muestran en la figura 1.

9 eldentistamoderno julio-agosto 2023
Dr. Eduardo Anitua DDS, MD, PhD1,2,3 1Private practice in oral implantology, Eduardo Anitua Institute, Vitoria, Spain. 2Clinical researcher, Eduardo Anitua Foundation, Vitoria, Spain. 3 University Institute for Regenerative Medicine and Oral Implantology - UIRMI (UPV/EHUFundación Eduardo Anitua), Vitoria, Spain.
1
Figura 1. Diámetros de los implantes incluidos en el estudio.

caso clínicoIMPLANTOLOGÍA

La posición del implante más frecuentemente rehabilitada fue la del diente 26 con un 30,8% de los casos, seguido de la posición 36 23,1%. El resto de las posiciones se muestran en la figura 2. La densitometría media de todos los implantes insertados fue de 692,31 Hu (+/- 340,46), siendo el torque medio de 37,69 Ncm (16,40). Un 23,1% de los implantes insertados se llevaron a cabo con elevación de seno transalveolar y el 7,7 % con sobre-corrección vestibular. En el resto (69,2%), no se realizó ninguna técnica accesoria. La altura ósea media residual fue de 5,42 mm (+/- 1,05). Todas las prótesis empleadas para rehabilitar los implantes fueron atornilladas sobre transepitelial, ferulizándose a uno o dos implantes más y realizándose carga inmediata en el 69,2%

de los casos. Durante el seguimiento de los implantes no se registraron incidencias protésicas ni quirúrgicas, siendo el tiempo medio de seguimiento desde la carga de 14,67 meses (+/-2,8). La longitud media de las prótesis fue de 14,65 mm (+/- 1,28) y el ratio corona-implante de todos los implantes estudiados fue de 3,25 mm (+/- 0,28). Las mayores proporciones ratio corona-implante fueron para los implantes situados en el implante 44 y 12. En la figura 3 se muestran las posiciones de los implantes junto con la longitud de las prótesis y el ratio corona-implante. La media de la pérdida ósea mesial de todos los implantes fue de 0,97 mm (+/-0,42) y la media de la pérdida ósea distal fue de 0,99 mm (+/- 0,39). En las figuras 4-15 se muestra uno de los casos incluidos en el

eldentistamoderno julio-agosto 2023

10
2
estudio. Figura 2. Posiciones de los implantes incluidos en el estudio. Podemos observar como la posición 26 y 36 son las más frecuentes.
3 4
Figura 3. Posiciones de los implantes insertados con su correspondiente longitud de prótesis y el ratio corona-implante. Figura 4. Imagen inicial del paciente que acude a la consulta con dolor en el primer cuadrante. En la radiografía observamos el fracaso del puente sobre diente con una pérdida ósea horizontal evidente.
11 eldentistamoderno julio-agosto 2023
5 6 7
Figuras 5 y 6. Se realiza un cone-beam de planificación donde observamos la posibilidad de colocar un implante distal al canino y otro en la posición del molar. Figura 7. Radiografía post-operatoria tras la inserción de los implantes.

caso clínicoIMPLANTOLOGÍA

12 eldentistamoderno julio-agosto 2023 8 10 9
11
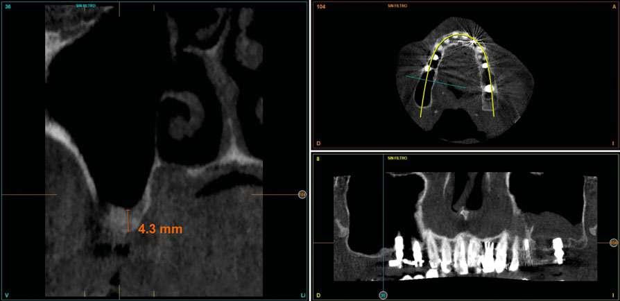
Figuras 8 y 9. Imagen intraoral de la re-entrada para la carga de los dos implantes. De inicio se lleva a cabo una prótesis de carga progresiva, atornillada elaborada con barras articuladas sobre transepiteliales múltiples (Multi-im®). Figuras 10 y 11. Posteriormente, se realiza un nuevo estudio tomográfico para valorar la posibilidad de colocar un implante distal a los ya cargados. En la cresta ósea residual vemos una altura de 4 mm, por lo que planificamos un implante de 4,5 mm de longitud.

Discusión

Un tópico muy extendido y aceptado en la prótesis fija convencional es la proporción corona-raíz. Esta proporción puede definirse como la medida desde la cresta ósea alveolar de la longitud del diente hacia oclusal, comparada con la longitud de la raíz incluida en el hueso31 y ha sido objeto durante muchos años de estudios para establecer la mejor relación entre ambas zonas para conseguir un correcto comportamiento biomecánico de la restauración. Este concepto se extrapoló en inicio a los implantes considerándose las mismas reglas y principos biomecánicos para la construcción de la prótesis. Con la llegada de los implantes cortos, extracortos y ultracortos, se produce una diferencia entre la longitud de los implantes y las coronas que asientan sobre los mismos que produce una desproporción entre el ratio corona-implante y que puede ser mayor de 2 o incluso superior a 3 en casos en los que el implante sea de menor longitud (4,5 mm). A pesar de que las diferencias entre la longitud de las restauraciones y los implantes extracortos y ultracortos parecerían indicar un mal comportamiento biomecánico del conjunto con repercusión en la pérdida ósea marginal aumentando la tasa de fracaso los estudios publicados sobre este tópico no muestran una mayor pérdida ósea en ratios corona-implante elevados, ni tampoco se ha demostrado en nuestro estudio27-30. La pérdida ósea crestal mesial y distal de los implantes incluidos en

nuestro estudio, a pesar de ser de una longitud inferior a 5 mm, no es superior a la reportada por otros estudios para implantes extracortos con longitud ≥ 5 mm como el elaborado por Mangano30 donde se reporta una pérdida ósea media de 0,39 mm para las proporciones corona-implante mayores de 2. En este trabajo anteriormente descrito se reporta también una mayor tasa de complicaciones protésicas para los implantes con mayor proporción corona-implante. En nuestros datos, no se han registrado complicaciones protésicas, lo que nos orienta a pensar que el protocolo rehabilitador debe ser adecuado para evitarlas. El uso de los transepiteliales para la prótesis múltiple como en el protocolo seguido en el presente estudio puede facilitar la transmisión de las cargas al hueso circundante, además de generar un correcto hermetismo en la unión implante-prótesis y por ello, los resultados de la pérdida ósea pueden ser menores. En otros trabajos de nuestro grupo elaborados con implantes cortos y extracortos con este mismo protocolo protésico los resultados de pérdida ósea y de ausencia de complicaciones protésicas también están ausentes32,33

Conclusiones

Los implantes de 4,5 mm no han mostrado una pérdida ósea mayor en situación de ratio corona-implante desfavorable incluso superior a 3 como la mostrada en esta serie de casos. 

13 eldentistamoderno julio-agosto 2023
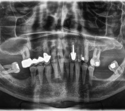
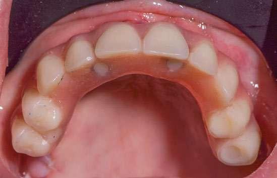
Figura 12. Radiografía post-operatoria tras la inserción del implante de 4,5 mm de longitud. Figura 13. Corte del cone-beam de control donde se evidencia el implante una vez integrado, antes de la segunda fase quirúrgica. Figura 14. Colocación de la prótesis definitiva con la proporción de la corona y la prótesis, que en este caso es superior a 3.
12 13 14 15
Figura 15. Radiografía de seguimiento a los dos años. En ella se observa la estabilidad del tratamiento realizado.

caso clínicoIMPLANTOLOGÍA

Resumen

Introducción: los implantes cortos y extracortos nos han permitido rehabilitar zonas con extrema atrofia vertical sin necesidad de técnicas accesorias. Aun así, existen casos donde se precisan implantes de menor longitud aún para poder rehabilitar atrofias mucho mayores. El principal problema que nos plantean los implantes ultra-cortos (4,5 mm) es la proporción corona-implante que se produce al ser implantes de poca longitud con prótesis generalmente de gran altura. En este estudio analizamos de forma retrospectiva implantes ultracortos con proporción corona-implante mayor de 3 para poder comprender su comportamiento biomecánico y la posible implicación de este ratio en la supervivencia y la pérdida ósea crestal.

Material y métodos: se reclutaron pacientes de forma retrospectiva en los que se insertaron implantes de 4,5 mm con prótesis en las que existiese una proporción corona-implante superior a 3 mm. Como variables principales se analizaron la supervivencia del implante y la pérdida ósea crestal. Como variables secundarias la presencia de complicaciones protésicas o quirúrgicas. Las variables cualitativas se describieron mediante un análisis

Bibliografía

1. O’ Dwyer S, Riordain RN. The patient experience of dental implant surgery: a literature review of pertinent qualitative studies. Ir J Med Sci. 2021 May;190(2):835-842.

2. Anitua E, Orive G. Short implants in maxillae and mandibles: a retrospective study with 1 to 8 years of follow-up. J Periodontol 2010;81:819-826.

3. Atieh MA, Zadeh H, Stanford CM, Cooper LF. Survival of short dental implants for treatment of posterior partial edentulism: a systematic review. Int J Oral Maxillofac Implants 2012; 27: 13231331.

4. Lemos CA, Ferro-Alves ML, Okamoto R, Mendonça MR, Pellizzer EP. Short dental implants versus standard dental implants placed in the posterior jaws: A systematic review and meta-analysis. J Dent. 2016 Apr;47:8-17.

5. Al-Hashedi AA, Taiyeb Ali TB, Yunus N. Short dental implants: an emerging concept in implant treatment. Quintessence Int. 2014 Jun;45(6):499-514.

6. Buser D, Sennerby L, De Bruyn H. Modern implant dentistry based on osseointegration: 50 years of progress, current trends and open questions. Periodontol 2000. 2017 Feb;73(1):7-21.

7. Nevins M. Implant dentistry: a continuing evolution. Int J Periodontics Restorative Dent. 2014;34 Suppl 3:s7.

8. Darcey J, Eldridge D. Fifty Years of Dental Implant Development: a Continuous Evolution. Dent Hist. 2016 Jul;61(2):75-92.

9. Tolstunov L, Hamrick JFE, Broumand V, Shilo D, Rachmiel A. Bone Augmentation Techniques for Horizontal and Vertical Alveolar Ridge Deficiency in Oral Implantology. Oral Maxillofac Surg Clin North Am. 2019 May;31(2):163-191.

10. Jepsen S, Schwarz F, Cordaro L, Derks J, Hämmerle CHF, Heitz-Mayfield LJ, Hernández-Alfaro F, Meijer HJA, Naenni N, Ortiz-Vigón A, Pjetursson B, Raghoebar GM, Renvert S, Rocchietta I, Roccuzzo M, Sanz-Sánchez I, Simion 11. M, Tomasi C, Trombelli L, Urban I. Regeneration of alveolar ridge defects. Consensus report of group 4 of the 15th European Workshop on Periodontology on Bone Regeneration. J Clin Periodontol. 2019 Jun;46 Suppl 21:277-286.

12. Rabelo GD, de Paula PM, Rocha FS, Jordão Silva C, Zanetta-Barbosa D. Retrospective study of bone grafting procedures before implant placement. Implant Dent. 2010 Aug;19(4):342-50.

13. Schwartz SR. Short implants: are they a viable option in implant dentistry? Dent Clin North Am. 2015 Apr;59(2):317-28.

de frecuencias. Las variables cuantitativas se describieron mediante la media y la desviación estándar. La supervivencia de los implantes se calculó mediante el método de Kaplan-Meier. Los datos fueron analizados con SPSS v15.0 para windows (SPSS Inc., Chicago, IL, USA).

Resultados: fueron reclutados 12 pacientes en los que se colocaron 13 implantes que cumplieron los criterios de inclusión previamente descritos. La posición del implante más frecuentemente rehabilitada fue la del diente 26 con un 30,8% de los casos. La altura ósea media residual fue de 5,42 mm (+/- 1,05). Durante el seguimiento de los implantes no se registraron incidencias protésicas ni quirúrgicas, siendo el tiempo medio de seguimiento desde la carga de 14,67 meses (+/-2,8). La media de la pérdida ósea mesial de todos los implantes fue de 0,97 mm (+/-0,42) y la media de la pérdida ósea distal fue de 0,99 mm (+/- 0,39).

Conclusiones: los implantes de 4,5 mm no han mostrado una pérdida ósea mayor en situación de ratio corona-implante desfavorable incluso superior a 3 como la mostrada en esta serie de casos.

14. Rokn AR, Monzavi A, Panjnoush M, Hashemi HM, Kharazifard MJ, Bitaraf T. Comparing 4-mm dental implants to longer implants placed in augmented bones in the atrophic posterior mandibles: One-year results of a randomized controlled trial. Clin Implant Dent Relat Res. 2018 Dec;20(6):997-1002.

15. Bolle C, Felice P, Barausse C, Pistilli V, Trullenque-Eriksson A, Esposito M. 4 mm long vs longer implants in augmented bone in posterior atrophic jaws: 1-year post-loading results from a multicentre randomised controlled trial. Eur J Oral Implantol. 2018;11(1):31-47.

16. Gastaldi G, Felice P, Pistilli V, Barausse C, Ippolito DR, Esposito M. Posterior atrophic jaws rehabilitated with prostheses supported by 5 × 5 mm implants with a nanostructured calcium-incorporated titanium surface or by longer implants in augmented bone. 3-year results from a randomised controlled trial. Eur J Oral Implantol. 2018;11(1):49-61.

17. Anitua E. Two-Step Progressive Transcrestal Sinus Augmentation Using a 4.5 mm Unloaded Implant as a “Temporary Implant” in Highly Atrophic Ridge: Case Report. Eur J Dent. 2023 Jan 25.

18. Padhye NM, Lakha T, Naenni N, Kheur M. Effect of crown-to-implant ratio on the marginal bone level changes and implant survival - A systematic review and meta-analysis. J Oral Biol Craniofac Res. 2020 Oct-Dec;10(4):705-713.

19. Di Fiore A, Vigolo P, Sivolella S, Cavallin F, Katsoulis J, Monaco C, Stellini E. Influence of Crown-to-Implant Ratio on Long-Term Marginal Bone Loss Around Short Implants. Int J Oral Maxillofac Implants. 2019 July/August;34(4):992–998.

20. Tang Y, Yu H, Wang J, Gao M, Qiu L. Influence of crown-to-implant ratio and different prosthetic designs on the clinical conditions of short implants in posterior regions: A 4-year retrospective clinical and radiographic study. Clin Implant Dent Relat Res. 2020 Feb;22(1):119-127.

21. Meijer HJA, Boven C, Delli K, Raghoebar GM. Is there an effect of crown-to-implant ratio on implant treatment outcomes? A systematic review. Clin Oral Implants Res. 2018 Oct;29 Suppl 18(Suppl Suppl 18):243-252.

22. Fathi A, Rismanchian M, Khodadadi R, Dezaki SN. Does the crown-implant ratio affect the survival and complications of implant-supported prostheses? A systematic review. J Prosthet Dent. 2022 Apr 22:S0022-3913(22)00175-5.

23. Anitua E, Alkhraist MH, Piñas L, Begoña L, Orive G. Implant survival and crestal bone loss around extra-short implants supporting a fixed denture: the effect of crown height space, crown-to-implant ratio, and offset placement of the prosthesis. Int J Oral Maxillofac Implants. 2014 May-Jun;29(3):682-9.

24. Anitua E, Piñas L, Orive G. Retrospective study of short and extra-short implants placed in posterior regions: influence of crownto-implant ratio on marginal bone loss. Clin Implant Dent Relat Res. 2015 Feb;17(1):102-10.

25. Anitua E, Alkhraisat MH, Piñas L, Orive G. Efficacy of biologically guided implant site preparation to obtain adequate primary implant stability. Ann Anat. 2015 May;199:9-15.

26. Anitua E, Alkhraisat MH, Piñas L, Orive G. Efficacy of biologically guided implant site preparation to obtain adequate primary implant stability. Ann Anat. 2015 May;199:9-15.

27. Nissan J, Ghelfan O, Gross O, Priel I, Gross M, Chaushu G. The effect of crown/implant ratio and crown height space on stress distribution in unsplinted implant supporting restorations. J Oral Maxillofac Surg 69:1934-1939, 2011.

28. Nissan J, Ghelfan O, Gross O, Priel I, Gross M, Chaushu G. The effect of splinting implant-supported restorations on stress distribution of different crown-implant ratios and crown height spaces. J Oral Maxillofac Surg 69:2990-2994, 2011.

29. Anitua E, Piñas L, Orive G. Retrospective study of short and extra-short implants placed in posterior regions: influence of crownto-implant ratio on marginal bone loss. Clin Implant Dent Relat Res. 2015 Feb;17(1):102-10.

30. Mangano F, Frezzato I, Frezzato A, Veronesi G, Mortellaro C, Mangano C. The Effect of Crown-to-Implant Ratio on the Clinical Performance of Extra-Short Locking-Taper Implants. J Craniofac Surg. 2016 May;27(3):675-81.

31. Shillingburg HT, Hobo S, Whitsett LD, et al: Fundamentals of fixed prosthodontics (3rd ed). Chicago, IL, Quintessence Pub- lishing, 1997, pp 119-137.

32. Anitua E, Alkhraisat MH, Eguia A. Single-crown restorations in premolar-molar regions: short (≤ 6.5) vs longer implants: retrospective cohort study. Int J Implant Dent. 2022 Oct 4;8(1):40.

33. Anitua E. Immediate Loading of Short Implants in Posterior Maxillae: Case Series. Acta Stomatol Croat. 2017 Jun;51(2):157-162.

14 el
dentistamoderno julio-agosto 2023

Simplifique los flujos de trabajo y amplíe su práctica

Amplíe su oferta de tratamientos

Las soluciones DEXIS™ IOS se integran perfectamente en su flujo de trabajo dental, ayudándole a simplificar los procesos, aumentar la productividad y facilitar la expansión de la práctica. Dedique más tiempo a lo que realmente importa: sus pacientes.

Descubra más en dexis.com

NUEVO DEXIS IS 3800

15 eldentistamoderno julio-agosto 2023 dexis.com +34 912 684 972 - DEXIS
© 2023 Dental Imaging Technologies Corporation. Todos los derechos reservados; DXIS00275 /RevA

EL CÁNCER ORAL Y FREUD

A través de un relato del desarrollo del carcinoma oral que sufrió el Dr. Sigmund Freud, padre del Psicoanálisis, el Dr. Florencio Monje destaca la necesidad de hacer más visible esta enfermedad y en cualquier caso, la cirugía maxilofacial y la oncología deben de ir de la mano para el tratamiento futuro del cáncer oral.

fías, en la figura de Freud. Esto fue posible gracias a documentos de la Universidad y el Hospital General de Viena y, así, poder reconstruir los 17 años de calvario del Dr. Freud, con todos los entresijos. Freud era un personaje muy metódico, trabajador incansable, un orador excelente y con una enorme adicción al tabaco. Según se recoge en algunos documentos, fumaba cerca de 20 cigarros-puros diarios, siendo habitual verlo fumar en las consultas de los pacientes.

Las enfermedades de personajes conocidos en la Historia –como Nicola Paganini, que padeció el Síndrome de Marfán; Sylvia Krystel y Rusell Means, que padecieron cáncer oral; Frederick Chopin, con tuberculosis; o Bela Bartok, con leucemia–sirvieron y sirven de línea de trabajo para muchas sociedades sanitarias con el objetivo de dar difusión a una patología determinada, su tratamiento y, por supuesto, concienciar a la población en general. Hay un personaje muy conocido que, sin lugar a duda, fue una figura clave en diversas disciplinas, incluida por supuesto la Medicina. Se trata del padre del Psicoanálisis, el Dr. Sigmund Freud. Su historia personal, que conocemos a través de las múltiples biografías, revela su importancia vital para la psiquiatría y la psicología, la medicina y el arte. En estos últimos 14 años, tuve la oportunidad de adentrarme, a través de innumerables biogra-

En las memorias de Max Ernst se revela que tenía molestias en el paladar derecho, pero no sería hasta los 66 años cuando le dice a su médico que tiene una lesión. En este momento se sucedería un tremendo calvario de intervenciones no muy bien tratadas por Marcus Hajek, un personaje que no le llegaría atender ni siquiera en una hemorragia cataclísmica sufrida la noche en la que fue intervenido. El cirujano que le trató en la mayoría de las intervenciones fue Hans Pichler, un personaje que asumió todo el tratamiento en Viena y, también, en Londres (donde se exilió en 1938). Freud fue “condenado” a un atroz sufrimiento con 36 intervenciones, realizadas todas con anestesia local, sedación y, solamente, dos con anestesia general. Tuvo cuatro ciclos de sesiones de radioterapia externa e innumerables tratamientos con cápsulas de radio local (dos veces aplicadas sobre la prótesis dentaria que se realizó para tapar el defecto palatino).

De la primera intervención, por ejemplo, no aparecen los informes de anatomía patológica y es posible que no se remitieran dado lo anómalo de esta actuación. Al final falleció a los 83 años agotado de tanto sufrimiento y fue su amigo –y médico personal Max Schur– el que llevó a cabo una eutanasia muy pactada previamente. Otro dato que llama la atención es la cantidad de prótesis que tuvieron que hacerle para aportarle los dientes que le quitaron y por no adaptarla al defecto del maxilar superior que le ocasionaron las intervenciones y los defectos de la radioterapia.

16 eldentistamoderno julio-agosto 2023 CÁNCER ORAL
opinión
El Dr. Florencio Monje presentó un caso sobre el carcinoma oral que sufrió el Dr. Sigmund Freud y la importancia de la colaboración de la cirugía maxilofacial y la oncología para el tratamiento futuro de esta enfermedad.

Los cristales con las muestras de la anatomía patológica se custodian en el Instituto Curie de París, pero lo más probable es que padeciera un carcinoma verrucoso que se desarrolló sobre un campo de cancerización ocasionado por el tabaco. Esta afección evoluciona bien, siempre que la intervención esté bien hecha y la radioterapia no tenga ningún efecto. Hay varios personajes ilustres que sufrieron también carcinoma oral, como es el caso de los presidentes 18 y 22 de EE.UU., Grover Cleveland o Ulyses Grant; las actrices Katherine Hepburn o Sylvia Krystel; los cantantes Eddie Van Halen y Bruce Dickinson; o el futbolista Daniel Houseman. Y otros más que, por diversos motivos, no quisieron revelarlo a la sociedad. Desgraciadamente, hay que reconocer que el carcinoma oral no es una enfermedad muy visible porque, entre otras cosas, en algunos de estos personajes puede verse comprometida su carrera. El cáncer oral está empezando a cambiar porque, hasta hace pocos años, se achacaba a la actuación del tabaco y alcohol. Actualmente, hay nuevos agentes culpables como, por ejemplo, el virus del papiloma humano (HPV). En cualquier caso, la cirugía maxilofacial y la oncología deben de ir de la mano para el tratamiento futuro de esta enfermedad. 

17 eldentistamoderno julio-agosto 2023
Dr. Florencio Monje Gil Cirujano oral y maxilofacial en Badajoz. Presidente de la Sociedad Española de Cirugía Oral y Maxilofacial y Cabeza y Cuello (SECOMCyC). Director del Centro CICOM Monje. Cirujano oral y maxilofacial Hospital Universitario de Badajoz. El Dr. Sigmund Freud, padre del Psicoanálisis, se sometió a 36 intervenciones, cuatro ciclos de sesiones de radioterapia externa e innumerables tratamientos con cápsulas de radio local para tratar su carcinoma oral. En la imagen, el Dr. Florencio Monje durante la presentación del caso en el Hospital Centro Vivo. (imagen cedida por el ‘Periódico de Extremadura’)

“ES NECESARIO SEGUIR INVESTIGANDO EN LA RELACIÓN ENTRE PERIODONTITIS Y ENFERMEDADES NEUROLÓGICAS”

Dr. José Vivancos, jefe de Servicio de Neurología del Hospital Universitario de la Princesa (Madrid) e integrante del grupo de trabajo SEPA-SEN, y Dr. Yago Leira, periodoncista y coordinador del grupo de trabajo SEPA-SEN

La Sociedad Española de Periodoncia y Osteointegración (SEPA) y la Sociedad Española de Neurología (SEN) han elaborado de manera conjunta un informe de consenso según el cual la periodontitis puede casi duplicar el riesgo de padecer Alzheimer y triplicar el riesgo de ictus isquémico. A lo largo de esta entrevista, el Dr. José Vivancos, jefe de Servicio de Neurología del Hospital Universitario de la Princesa (Madrid) e integrante del grupo de trabajo SEPA-SEN, y el Dr. Yago Leira, periodoncista y coordinador del grupo de trabajo SEPA-SEN, revelan las principales conclusiones de este informe y destacan la necesidad de continuar investigando en la relación entre periodontitis y enfermedades neurológicas.

entrevista ENTREVISTA 18 eldentistamoderno julio-agosto 2023
Dr. José Vivancos. Dr. Yago Leira.

 DM.- El informe de consenso llevado a cabo por el grupo de trabajo conjunto de la Sociedad Española de Periodoncia y Osteointegración (SEPA) y la Sociedad Española de Neurología (SEN) muestra que la periodontitis aumenta el riesgo de padecer ictus isquémico y demencia. ¿Cuál es el objetivo de este informe?

Dr. Yago Leira (Dr. Y.L.).- El informe científico SEPA-SEN tiene como objetivo principal el de revisar la literatura científica publicada sobre la asociación entre periodontitis y enfermedades neurológicas, en particular la enfermedad cerebrovascular y las demencias. Esto se ha realizado desde 3 puntos de vista diferentes: a) relación epidemiológica, b) evidencia de mecanismos biológicos implicados en estas asociaciones y, finalmente, c) evidencia de intervención para evaluar si el tratamiento periodontal puede tener un impacto en estas patologías.

 DM.- Según los resultados de este documento, ¿cuál es la relación entre periodontitis e ictus? ¿Y entre periodontitis y demencias, más concretamente de enfermedad de Alzheimer (EA)?

Dr. Y.L.- Las personas que padecen periodontitis tienen 2,8 veces más riesgo de desarrollar enfermedad cerebrovascular (principalmente ictus isquémico) y 1,7 veces más probabilidades de tener demencia de tipo Alzheimer en el futuro.

 DM.- ¿De qué manera puede el tratamiento periodontal reducir el riesgo de padecer ECV y/o modificar su evolución, y condicionar la evolución del deterioro cognitivo y/o la de sus marcadores?

Dr. Y.L.- Actualmente, no existen ensayos clínicos aleatorizados que hayan evaluado el impacto del tratamiento periodontal tanto a nivel de prevención primaria como secundaria del ictus o la enfermedad de Alzheimer. Sin embargo, distintos estudios epidemiológicos han demostrado la efectividad de diferentes intervenciones de salud oral, incluyendo las visitas regulares al dentista.

 DM.- De acuerdo a los estudios analizados, ¿existen mecanismos de plausibilidad biológica que puedan explicar la relación entre la periodontitis y un deterioro cognitivo vascular (DVC) y/o demencia vascular (VaD) y EA?

Dr. Y.L.- Uno de los principales mecanismos fisiopatológicos que podrían explicar la relación entre periodontitis y las demencias es la respuesta sistémica inmunoinflamatoria crónica de bajo grado debido al

paso a la circulación sanguínea tanto de bacterias periodontales y sus endotoxinas como de mediadores proinflamatorios (producidos localmente en la encía inflamada), los cuales contribuirían a procesos causalmente involucrados en la neurodegeneración como son la neuroinflamación, astrogliosis y microgliosis, formación de placas seniles (por acúmulo de proteína beta amiloide) y ovillos neurofibrilares (por hiperfosforilación de proteína tau) y muerte neuronal.

 DM.- ¿En qué punto se encuentra la investigación sobre el microbioma oral y su relación con la periodontitis y demencias como la de tipo Alzheimer?

Dr. José Vivancos (Dr. J.V.).- Con herramientas genéticas y análisis moleculares disponibles para identificar bacterias individuales y sus productos metabólicos, es posible localizar y rastrear estas bacterias en los diferentes tejidos periodontales para comprender qué células pueden afectar y qué vías de señalización metabólica pueden activar y así comprender mejor cómo la enfermedad de Alzheimer puede verse influenciada por el microbioma oral.

19 eldentistamoderno julio-agosto 2023
Las personas que padecen periodontitis tienen 2,8 veces más riesgo de desarrollar enfermedad cerebrovascular (principalmente ictus isquémico) y 1,7 veces más probabilidades de tener demencia de tipo Alzheimer en el futuro
Dr. Yago Leira Grupo de trabajo SEPA-SEN.

 DM.- Respecto a la hipótesis inflamatoria que se produce con la periodontitis, ¿cuáles son los efectos biológicos que conlleva la presencia de esta enfermedad en la aparición o progresión de otras enfermedades sistémicas?

Dr. J.V.- En base de estudios epidemiológicos, de intervención clínica y basados en modelos animales, la periodontitis se ha relacionado con una serie de condiciones crónicas inflamatorias no comunicables como la enfermedad vascular aterosclerótica, diabetes, enfermedades reumáticas, cáncer, etc. A nivel mecanístico, la periodontitis se asocia con bacteriemias e inflamación sistémica, que pueden inducir respuestas de fase aguda, así como alteraciones metabólicas e inflamatorias en el hígado y la médula ósea, actividades que pueden influir en comorbilidades crónicas. Además, las bacterias periodontales pueden diseminarse por diferentes vías (hematógena, orofaríngea y orodigestiva) para alcanzar sitios extraorales donde pueden causar o exacerbar patologías inflamatorias.

 DM.- A raíz del informe SEPA-SEN y teniendo en cuenta los estudios publicados observacionales en los que se sugiere que diferentes intervenciones de salud oral pueden reducir el riesgo de sufrir ictus o demencia, ¿qué es lo que se puede

hacer desde las clínicas dentales y sus profesionales para la promoción de la salud neurológica?

Dr. J.V.- El odontólogo puede tener un papel clave en el cribado de patologías como la hipertensión y la diabetes, que son considerados factores de riesgo vasculares tanto de enfermedad cerebrovascular como de algunos tipos de demencias como la enfermedad de Alzheimer o la de tipo vascular. En este sentido, la Sociedad Española de Periodoncia (SEPA) está llevando a cabo un ambicioso proyecto llamado Promosalud, el cual podría tener un gran impacto sociosanitario y económico si se llega a implementar de manera rutinaria en todas las clínicas odontológicas. Por otro lado, evitar de manera preventiva que un paciente desarrolle enfermedad periodontal mediante limpiezas bucodentales y realizar una correcta higiene oral; o en caso de padecerla, tratar dicha infección a través del tratamiento periodontal, podría contribuir a reducir el riesgo de desarrollar problemas neurológicos. Sin embargo, esto todavía no está científicamente probado con ensayos clínicos.

 DM.- En concreto, ¿qué consejos preventivos específicos sobre salud bucodental pueden dar los neurólogos para prevenir sobre esta relación bidireccional?

Dr. J.V.- Los neurólogos pueden realizar un cribado de enfermedad periodontal en sus pacientes entregando un simple cuestionario como el desarrollado por la SEPA, denominado “Test de Salud Gingival” y disponible en la página web de la Sociedad. Además, existen algunos consejos como “la regla de 2”: cepillado dental 2 veces al día durante 2 minutos y acudir 2 veces al año al dentista para revisar sus encías.

 DM.- El informe SEPA-SEN es un trabajo de cooperación y enfoque. ¿Dónde reside la importancia de este informe en cuanto a su papel en el ámbito de la investigación?

Dr. Y.L.- Este informe científico pone de manifiesto la necesidad de seguir investigando en la relación entre periodontitis y enfermedades neurológicas. Desde mi punto de vista, en cuanto a la enfermedad cerebrovascular, la evidencia es muy limitada en cuanto a estudios de mecanismos biológicos. En relación a ambas patologías, no existen ensayos clínicos aleatorizados para responder a la pregunta de si el tratamiento periodontal puede prevenir la aparición, progresión o recurrencia de estas enfermedades neurológicas así como tener un potencial efecto beneficioso en el curso de las mismas. 

ENTREVISTA 20 eldentistamoderno julio-agosto 2023
entrevista
Es posible localizar y rastrear estas bacterias en los diferentes tejidos periodontales para comprender qué células pueden afectar y
Dr. ”
qué vías de señalización metabólica pueden activar y así comprender mejor cómo la enfermedad de Alzheimer puede verse influenciada por el microbioma oral

Restaura la belleza de una sonrisa en un día con el concepto de tratamiento

All-on-4®

Más de 250.000 pacientes* tratados con éxito

Prótesis �ija de arcada completa sobre cuatro implantes

nobelbiocare.com/es-es

*Nobel Biocare (Datos de archivo)

advertencias y precauciones.

SUPERFICIES

Lleva el tratamiento de edentulismo a otro nivel con la sinergia de las superficies: implantes TiUltraTM y pilares XealTM

Descarga el e-book GRATUITO Cómo empezar con el concepto de tratamiento

All-on-4®

(incluye curso online)

21 eldentistamoderno julio-agosto 2023 GMT 81317 ES © Nobel Biocare Services AG, 2022. Reservados todos los derechos. Nobel Biocare, el logotipo de Nobel Biocare y todas las demás marcas comerciales son, a menos que se especi�ique lo contrario o se deduzca claramente del contexto en algún caso, marcas comerciales de Nobel Biocare. Para obtener más información, visita nobelbiocare.com/trademarks. Las imágenes de los productos no están necesariamente reproducidas a escala. Todas las imágenes de producto solo están destinadas a servir como ilustración y pueden no ser una representación exacta del producto. Exención de responsabilidad: Puede que no se permita poner a la venta algunos productos en algunos países según la normativa. Contacta con la subsidiaria local de Nobel Biocare para conocer la gama de productos actual y su disponibilidad. Consultar la información completa sobre prescripción en las Instrucciones de uso, incluidas las indicaciones, contraindicaciones,

caso clínico

REHABILITACIÓN DE MAXILAR ATRÓFICO CON TÉCNICA ALL-ON-4® HYBRID. FOLLOW-UP 6 AÑOS

El concepto de tratamiento All-on-4® ha redefinido la rehabilitación oral al ofrecer una solución innovadora para aquellos pacientes con dentición terminal o edéntulos. Este artículo se centra en presentar, a través de un caso clínico operado por el Dr. Alfonso Caballero de Rodas Ramírez, la transición transformadora de una dentición terminal a una sonrisa renovada utilizando el protocolo All-on-4® Hybrid.

Introducción

La rehabilitación del maxilar con el protocolo Allon-4® ha demostrado ser un tratamiento altamente predecible en el tiempo. Esta técnica ofrece a los pacientes edéntulos y potencialmente edéntulos una prótesis de arcada completa fija sobre cuatro implantes el mismo día de la intervención. Sin embargo, cuando nos enfrentamos a maxilares moderada o severamente reabsorbidos se presentan limitaciones anatómicas debido a la gran reducción de volumen óseo, particularmente en la región de premolares y molares. (Imagen 1).

Esto es un inconveniente a la hora de reducir los canitlevers distales de nuestras rehabilitaciones y que las futuras prótesis fijas atornilladas de 12 dientes de nuestros pacientes sean biomecánicamente óptimas. Es en estos casos donde los implantes cigomáticos juegan un papel fundamental, dando tanto una alta estabilidad primaria para la función inmediata como la posibilidad de reducir considerablemente el uso de cantilevers en la rehabilitación. Reduciendo, además, el número de intervenciones quirúrgicas y la necesidad de injertos óseos.

Cuando acude un paciente a consulta que necesita un tratamiento tipo ¨full arch¨, realizamos un enfoque desde el punto de vista rehabilitador. Llevamos a cabo una visita protocolizada de toma de registros para el correcto diagnóstico y ejecución del tratamiento. Realizamos:

1. CBCT (determinar la disponibilidad ósea).

2. Escaneado intraoral (confección de modelos y prótesis provisional).

3. Secuencia de fotografías (sin prótesis removibles si las tuviera el paciente). Determinar línea de transición, borde incisal, soporte labial, espacio protésico, etc.

Una vez montado el caso en el software de planificación DTX Studio™ Implant y estudiado todos los factores antes mencionados, determinamos cual va a ser nuestro concepto de tratamiento: 6 implantes axiales, All-on-4® convencional, All-on-4® Hybrid o Quad Zygoma. Si por disponibilidad ósea del paciente, la emergencia de los implantes posteriores queda a nivel del primer premolar, nos decantamos por la colocación de implantes cigomáticos (All-on-4® Hybrid), para que ésta sea a nivel de segundo premolar o primer molar.

Con el software DTX Studio™ Implant vemos, además, como va a ser la trayectoria de los implantes cigomáticos siguiendo un protocolo anatómicamente guiado.

El protocolo de colocación de implantes cigomáticos original descrito por el Prof. Per-Ingvar Brånemark planteaba un abordaje intrasinusal. Describía un recorrido del implante dentro del seno y la realización de una ventana en la pared lateral para el control visual de la dirección.

La técnica planteaba principalmente dos inconvenientes dependiendo de la anatomía del paciente: la osteotomía no era óptima para la buena estabilidad primaria del implante (ya que no se utilizaba todo el hueso disponible) y la angulación excesiva de la trayectoria daba como resultado una emergencia del implante muy palatinizada (con el consiguiente volumen protésico añadido y el compromiso de la higiene).

Estos inconvenientes se resuelven con el protocolo actual. Protocolo que es anatómicamente guiado, en el que se prima la emergencia crestal del implante y la preservación, en la medida de lo

22 eldentistamoderno julio-agosto 2023 IMPLANTOLOGÍA

Dr. Alfonso Caballero de Rodas

Master gIDE: 1 year Master Clinician Program in Implant Dentistry. Universidad de Loma Linda, 2016-2017.

Práctica privada en Cirugía

Oral, Implantes y Prostodoncia sobre implantes en Clínica Caballero de Rodas, Las Palmas de Gran Canaria.

Profesor del Máster de Cirugía

Oral, Implantología y Periodoncia de la Universidad Alfonso X el Sabio, 2007-2010.

Residencia clínica en Cirugía, Implantología y Periodoncia. Clínica Cimpla (Dr. Fernando Luengo).

Residencia clínica sobre Immediate Function, CMBridge, NobelGuide® & All-on-4® en - Clínica Malo (Dr. Paulo Malo, Lisboa) 2005-2006

Varias ponencias en SEPA sobre “All-on-4® & NobelGuide® como tratamiento a desdentados totales”,. Licenciatura en Odontología, Universidad Alfonso X El Sabio, 2004.

posible, del hueso vestibular para un mejor comportamiento a largo plazo.

A continuación, analizaremos un caso resuelto con el protocolo All-on-4® Hybrid y su seguimiento a los 6 años.

Dr. Eduardo Santana Graduado en Odontología por la Universidad Rey Juan Carlos.

Residencia clínica en cirugía oral, implantología y prótesis sobre implantes con el Dr. Alfonso Caballero de Rodas. Máster en Cirugía Bucal, Implantología y Periodoncia por la Universidad de León.

Diploma Avanzado en Periodoncia por la Universidad Complutense de Madrid y SEPA.

Certificado Malo Clinic ¨All-on-4 Protocol¨ (Lisboa). Membership en gIDE Dental Institute.

Caso clínico

Caso operado por el Dr. Alfonso Caballero de Rodas Ramírez en 2017 en la Clínica Dental Caballero de Rodas (Las Palmas de Gran Canaria).

Situación clínica: mujer de 61 años sin antecedentes médicos de relevancia con maxilar atrófico y presencia de pieza 1.5. La paciente manifiesta que quiere ¨volver a sonreír y sentirse segura¨.

Se planifica la realización de la técnica All-on-4™ Hybrid con colocación de prótesis provisional atornillada el mismo día. 

23 eldentistamoderno
2023 Artículo patrocinado
julio-agosto
1
Imagen 1: Grupo óseo.

caso clínico

24
eldentistamoderno julio-agosto 2023
IMPLANTOLOGÍA
2
Imagen 2: Radiografía preoperatoria. Se observa atrofia ósea severa en sectores posteriores.
4
3 Imágenes 3 y 4: Vista frontal y oclusal preoperatoria.

9 - 14: Secuencia quirúrgica de colocación de implantes: Posición 1.5 (Brånemark System Zygoma TiUnite RP 42,5 mm), posición 2.5 (Brånemark System Zygoma TiUnite RP 40 mm), posición 1.2 (NobelParallel Conical Connection NP 3.75 x 13 mm) y posición 2.2 (NobelParallel Conical Connection NP 3.75 x 15 mm). En la imagen se observa la ventana mínimamente invasiva que realiza el doctor para el control de la dirección del implante cigomático.

25 eldentistamoderno julio-agosto 2023 5 7 9 6
Imágenes 5 y 6: Planificación virtual con DTX StudioTM Implant. Planificación de emergencia en cresta alveolar de los implantes cigomáticos y su trayectoria.
8
Imagénes 7 y 8: Exodoncia de pieza 1.5 y colgajo a espesor total con incisión ligeramente palatinizada para desplazar la mayor cantidad de encía queratinizada a vestibular.
10 11 12
Imagénes

caso clínico

26
IMPLANTOLOGÍA 13 14 15 16 17 18
eldentistamoderno julio-agosto 2023
Imagen 15: Colocación de pilares Multi-unit y sutura no reabsorbible de PTFE. Observamos la emergencia crestal final de los implantes cigomáticos. Imagénes 16 y 17: Colocación el mismo día de prótesis fija provisional con función inmediata siguiendo el protocolo All-on-4® Imagen 18: Radiografía postoperatoria inmediata.

Imagen 19: Resultado final de sonrisa con la prótesis provisional inmediata.

Imagen 20: Restauración definitiva de titanio - composite.

Imagen 21: Resultado estético final.

Imagen 22: Estado de los tejidos 6 años después de la cirugía.

Imagen 23: Control radiográfico de seguimiento 6 años después de la intervención.

Bibliografía

- Maló P, Rangert B, Nobre M. “All-on-Four” immediate-function concept with Brånemark System implants for completely edentulous mandibles: a retrospective clinical study. Clin Implant Dent Relat Res. 2003;5 Suppl 1:2-9. doi: 10.1111/ j.1708-8208.2003.tb00010.x. PMID: 12691645.

- Maló P, de Araújo Nobre M, Lopes A, Ferro A, Nunes M. The All-on-4 concept for full-arch rehabilitation of the edentulous maxillae: A longitudinal study with 5-13 years of follow-up. Clin Implant Dent Relat Res. 2019 Aug;21(4):538-549. doi: 10.1111/cid.12771. Epub 2019 Mar 28. PMID: 30924250.

- Bedrossian E, Sullivan RM, Fortin Y, Malo P, Indresano T. Fixed-prosthetic implant restoration of the edentulous maxilla: a systematic pretreatment evaluation method. J Oral Maxillofac Surg. 2008 Jan;66(1):112-22. doi: 10.1016/j. joms.2007.06.687. PMID: 18083424.

- Maló P, Nobre Md, Lopes A. The rehabilitation of completely edentulous maxillae with different degrees of resorption with four or more immediately loaded implants: a 5-year retrospective study and a new classification. Eur J Oral Implantol. 2011 Autumn;4(3):227-43. PMID: 22043467.

- Brånemark PI, Gröndahl K, Ohrnell LO, Nilsson P, Petruson B, Svensson B, Engstrand P, Nannmark U. Zygoma fixture in the management of advanced atrophy of the maxilla: technique and long-term results. Scand J Plast Reconstr Surg Hand Surg. 2004;38(2):70-85. doi: 10.1080/02844310310023918. PMID: 15202664.

- Aparicio C. A proposed classification for zygomatic implant patient based on the zygoma anatomy guided approach (ZAGA): a cross-sectional survey. Eur J Oral Implantol. 2011 Autumn;4(3):269-75. PMID: 22043470.

27
eldentistamoderno julio-agosto 2023
19 20 21 22 23

“LA PRINCIPAL VENTAJA DE LA CIRUGÍA ORTOFACIAL ES QUE CUMPLE UN DOBLE OBJETIVO: SALUD Y ESTÉTICA”

Prof. Federico Hernández Alfaro, director del Instituto Maxilofacial de Barcelona y Catedrático y Jefe de Departamento de Cirugía Oral y Maxilofacial en la UIC

El Profesor Hernández Alfaro, Director del Instituto Maxilofacial en Centro Médico Teknon y Catedrático y Jefe de Departamento de Cirugía Oral y Maxilofacial en la Universidad Internacional de Cataluña (UIC), nos desvela a lo largo de esta entrevista cómo la excelencia en investigación, tratamientos y tecnologías de vanguardia han convertido al Instituto Maxilofacial de Barcelona en centro de referencia en cirugía maxilofacial y estética facial.

entrevista ENTREVISTA 28 eldentistamoderno julio-agosto 2023

 DM.- El Instituto Maxilofacial de Barcelona ha sido reconocido cinco años seguidos como el mejor servicio privado de España en Cirugía Oral y Maxilofacial, según el Monitor de Reputación Sanitaria Merco. Como máximo responsable del centro, ¿cuáles son los principales aspectos que convierten al Instituto Maxilofacial de Barcelona en referencia en cuanto a excelencia, innovación e investigación?

Prof. Federico Hernández Alfaro (Prof. F.H.A.).- Algo que hace único a nuestro Instituto Maxilofacial es la labor de investigación que hacemos, además de la práctica clínica. Todos nuestros profesionales ejercen labores de investigación y docencia, además de sus consultas en la clínica, lo que nos permite estar a la vanguardia en nuevas técnicas y a la vez no perder ese contacto directo con el paciente que siempre es necesario para que las innovaciones se traduzcan en tratamientos de éxito.

 DM- La innovación es una de las fortalezas del Instituto Maxilofacial de Barcelona. Indique, por favor, las últimas técnicas y tecnologías de vanguardia utilizadas en cirugía maxilofacial y estética facial.

Prof. F.H.A.- La mayor innovación que se ha hecho en los últimos años es el perfeccionamiento de técnicas mínimamente invasivas, como la utilización de un bisturí piezoeléctico que funciona a través de ultrasonidos y permite hacer cortes más precisos en los tejidos duros, sin dañar los tejidos blandos. Además hemos trabajado en técnicas quirúrgicas como la Twist Technique a la hora de movilizar el maxilar; el abordaje en túnel, que nos permite hacer las osteotomías desde unos cortes milimétricos en el tejido gingival; o una sutura especial que permite minimizar el ensanchamiento de la nariz al adelantar el maxilar. Además, hemos sido el primer centro a nivel europeo en utilizar la planificación 3D en nuestros casos quirúrgicos, sin mencionar la Línea de Barcelona, que es nuestro último logro, y muy significativo.

 DM.- En cuanto a investigación, ¿en qué proyectos están trabajando actualmente en el Instituto Maxilofacial?

Prof. F.H.A.- En estos momentos tenemos activas varias líneas de investigación que involucran no sólo el tratamiento de la apnea del sueño, sino formas de maximizar la estética facial, técnicas de

ortodoncia quirúrgica, aplicación de nuevas tecnologías, etc. En el ámbito del tratamiento de la apnea obstructiva del sueño, estamos valorando el impacto que tienen los movimientos de los distintos huesos de la cara en el incremento de la vía aérea y la dirección óptima de esos movimientos para maximizar los resultados.

 DM.- Háblenos del equipo multidisciplinar del Instituto Maxilofacial de Barcelona. ¿Qué especialistas forman parte de este equipo y cuáles son los beneficios de trabajar cada caso de manera multidisciplinar?

Prof. F.H.A.- Además de la Cirugía Maxilofacial, que practicamos yo mismo como Director del Instituto, la Dra. Adaia Valls y el Dr. Francesc Durán; tenemos al Dr. Alejandro Mazarro, que se enfoca más

29 eldentistamoderno julio-agosto 2023
Tenemos activas varias líneas de investigación que involucran no sólo el tratamiento de la apnea del sueño, sino formas de maximizar la estética facial, técnicas de ortodoncia quirúrgica, aplicación de nuevas tecnologías, etc.

en procedimientos de estética facial; cubrimos las especialidades de rehabilitación con los Dres. Alvaro Reuter, Álvaro Giner y Ana García-Nieto; la Periodoncia está en manos de la Dra. Vanessa Ruiz-Magaz; y tenemos una especialista en dolor orofacial, la Dra. Gloria Molins, además de dos fisioterapeutas, que se encargan asimismo del área de cabeza y cuello. Los beneficios son que juntos podemos planificar los casos que necesitan de diferentes especialidades y dar un seguimiento coherente y unificado al paciente, que no necesita ir de centro en centro para tratar su problema, sino que lo encuentra todo en uno.

 DM.- En el tratamiento de la apnea del sueño, ¿qué tipo de intervenciones son las que realizan de manera más habitual en el Instituto Maxilofacial de Barcelona?

Prof. F.H.A.- La intervención indicada para el tratamiento de la apnea del sueño es el avance bimaxilar, que da excelentes resultados funcionales y además maximiza la armonía facial.

 DM.- En el año 2010 desarrolló su propia guía ortofacial, que dio lugar a la ‘Barcelona Line’. ¿En qué consiste esta técnica y cómo ha logrado convertirse en un referente a nivel mundial?

Prof. F.H.A.- Es una nueva referencia permite definir la armonía del perfil facial de una manera sencilla y objetiva. La Barcelona Line es una línea que discurre verticalmente desde la raíz de la nariz (nasion) y es perpendicular al suelo. Cualquier cara considerada hoy en día armónica tiene que quedar por delante de esa línea.

La Barcelona Line ha sido adoptada desde entonces por muchos especialistas a nivel mundial, porque es una herramienta que facilita la labor de planificación del cirujano en gran medida.

 DM.- ¿Cuáles son las ventajas que ofrece a los cirujanos? ¿Y al paciente?

Prof. F.H.A.- La Barcelona Line permite decidir dónde recolocar el complejo maxilo-mandibular en pacientes con apnea obstructiva del sueño moderada a severa, y así ampliar las vías aéreas, permitiendo una mejora sustancial en la respiración y al mismo tiempo optimizando la estética facial. Para los pacientes, permite una mejor comprensión sobre la dirección de los cambios que verá en su rostro tras una cirugía maxilo-mandibular.

 DM.- ¿Para qué tipo de pacientes resulta más efectiva la ‘Barcelona Line’?

Prof. F.H.A.- Puede aplicarse a cualquier tipología de paciente, ya que ha sido diseñada analizando

ENTREVISTA 30 eldentistamoderno julio-agosto 2023
entrevista
La ‘Barcelona Line’ es una nueva referencia permite definir la armonía del perfil facial de una manera sencilla y objetiva. Es una línea que discurre verticalmente desde la raíz de la nariz (nasion) y es perpendicular al suelo. Cualquier cara considerada hoy en día armónica tiene que quedar por delante de esa línea

miles de rostros de ambos sexos y de todas las razas y tipologías. Se trata de una referencia que se adapta a los estándares de belleza modernos, que reflejan el mestizaje de nuestra sociedad actual.

 DM.- En los últimos años se ha producido un aumento en la demanda de tratamientos de medicina estética en España, impulsado por una mayor preocupación por la imagen personal. Antes de someterse a una cirugía ortofacial, ¿qué debe tener en cuenta el paciente y cuál es el papel del cirujano a la hora de recomendar este tipo de cirugías?

Prof. F.H.A.- El paciente debe tener en cuenta que puede llegar a ser un proceso largo, especialmente si requieren de una preparación ortodóncica antes de la cirugía.

Además debe tener muy claro si realmente necesita o se beneficiaría de la cirugía (y ahí es donde entra también el cirujano). Pueden haber 3 razones para operarse:

• Una alteración en la estética facial debida a una alteración en los huesos de la cara.

• Una alteración en la vías respiratorias que resulte en apnea del sueño.

• Una alteración en la oclusión, que sea de causa ósea y no dental.

 DM.- Actualmente, ¿diría usted que la cirugía ortofacial cumple un doble objetivo: salud y estética?

Prof. F.H.A.- Considero que la principal ventaja de la cirugía ortofacial es que ofrece ambas cosas. Por un lado, es la cirugía facial con más potencial para lograr la armonización del rostro en pacientes con motivación estética; y, por otro lado, es el único tratamiento curativo para pacientes con apnea obstructiva del sueño.

 DM.- En su opinión, ¿cuáles son las claves de la nueva perspectiva sobre la evolución de la estética facial?

Prof. F.H.A.- Hay dos palabras claves a la hora de hablar de nuevos estándares de belleza: mestizaje y proyección facial.

 DM.- Por otro lado, usted y su equipo han diseñado y publicado en revistas científicas, numerosas técnicas de cirugía mínimamente invasivas que permiten realizar estas intervenciones de manera poco invasiva, con un tiempo quirúrgico medio de 1,5 horas y un ingreso hospitalario de una noche. ¿Qué facilidades ofrece este tipo de intervenciones al paciente?

Prof. F.H.A.- La cirugía ortognática u ortofacial ha pasado de ser una cirugía bastante tortuosa de una duración aproximada de 5 horas y un largo y difícil postoperatorio, a ser un procedimiento muy poco invasivo, con un tiempo quirúrgico medio de 1,5 horas, un ingreso hospitalario de una sola noche y un postoperatorio que, si bien no está exento de incomodidad, es bastante llevadero para la gran mayoría de pacientes. Si comparamos todo el proceso actual con lo era hace unos años, las diferencias saltan a la vista. En nuestra web pueden encontrar vídeos de pacientes hablando menos de 24 horas después de su cirugía y nadie diría que han pasado por una cirugía de este calibre. Esto, que era impensable hace algunos años, se debe a la aplicación de técnicas mínimamente invasivas y al excelente cuidado postoperatorio que ofrecemos en nuestro centro. 

31 eldentistamoderno julio-agosto 2023

Información para decidir

Solo aquella información basada en la responsabilidad y la calidad nos hace libres para tomar las mejores decisiones profesionales. En ConeQtia, entidad colaboradora de CEDRO, garantizamos contenido riguroso y de calidad, elaborado por autores especializados en más de 30 sectores profesionales, con el aval de nuestros editores asociados y respaldando el uso legal de contenidos. Todo ello con la nalidad de que el lector pueda adquirir criterio propio, facilitar la inspiración en su labor profesional y tomar decisiones basadas en el rigor.

Por este motivo, todos los editores asociados cuentan con el sello de calidad ConeQtia, que garantiza su profesionalidad, veracidad, responsabilidad y abilidad.

coneqtia.com
Con la colaboración de:

ENTREVISTA

• Dr. Alfonso Gil López-Areal, especialista en periodoncia, estética dental y rehabilitación oral

Siguiendo la evolución de la Odontología para el profesional del sector llamado a construir el futuro

ORAL MEDICINE INSIDE by

Un evento que marca un hito en la Odontología: III Congreso Knotgroup “Los Orígenes”

PENSANDO EN EL FUTURO

Las soluciones digitales más innovadoras para mejorar la salud periodontal

EFP Innovation Award for Digital Solutions for Gum Health 2023

EDICIÓN ESPECIAL CLÍNICAS DENTALES 2023/24

El papel de la digitalización en la transformación de las clínicas dentales en España

En los últimos años, la digitalización y las nuevas tecnologías han cambiado la forma de entender la Odontología y su aplicación está transformando las bases de la profesión. Las clínicas dentales y sus equipos al completo se enfrentan día a día a nuevos desafíos y retos con el fin de adaptarse a los flujos digitales y aprovechar estos nuevos recursos en todos los ámbitos (diagnóstico, equipamiento, tratamiento, gestión, atención al paciente…) para ofrecer tratamientos cada vez más seguros, precisos y eficaces que permitan una atención más personalizada a los pacientes.

Desde la revista El Dentista Moderno estamos elaborando una edición especial en la que una selección destacada de clínicas dentales tendrán la oportunidad de mostrar su visión profesional sobre la digitalización como protagonistas de esta transformación, además de dar a conocer su filosofía y proyecto clínico, entre otros aspectos. Una edición multiplataforma que servirá para reflexionar sobre la transformación que están protagonizando las clínicas dentales en España con la imparable introducción de la digitalización y las nuevas tecnologías.

¿Está tu clínica dental digitalizada? Si es así y quieres formar parte de esta Edición Especial Clínicas Dentales 2023/24, ponte en contacto con nosotros en info@eldentistamoderno.com

Foto: Pixabay
digital
Versión print y

“EL PAPEL DE LA FORMACIÓN

CONTINUADA ES FUNDAMENTAL

PARA LA PROFESIÓN”

Dr. Alfonso Gil López-Areal, especialista en periodoncia, estética dental y rehabilitación oral Gracias a la exitosa experiencia de su padre, el Dr. Jaime A. Gil, el Dr. Alfonso Gil López-Areal ha querido continuar apostando por la formación continuada con la inauguración del centro de formación Advanced Esthetic Seminars (AES). Un espacio en el que los profesionales de la Odontología tengan la oportunidad de formarse de la mano de reconocidos especialistas internacionales en prostodoncia y cirugía y, próximamente, también en ortodoncia, entre otras.

 DM.- Usted y su familia siempre han estado vinculados y comprometidos con la formación de los profesionales. En su opinión, ¿qué papel tiene la formación continuada para los profesionales de la Odontología?

Dr. Alfonso Gil (Dr. A.G.).- Toda mi familia, sobre todo mi padre y actualmente yo, siempre hemos estado muy involucrados con la formación continuada. A día de hoy, la Odontología se desarrolla a una velocidad que las universidades no pueden seguir, de manera que existe un gap entre lo que pide la Odontología actual y cómo salen formados los odontólogos. ¿Cómo se consigue salvar ese salto? A base de formación continuada. Por tanto, el papel de la formación continuada es fundamental, ya que los odontólogos que salen formados de la universidad en nuestro país, aunque sí que pueden trabajar en una clínica dental, les faltan tanto conocimientos teóricos como destreza práctica a la hora de realizar ciertas técnicas, especialmente aquellas que tienen que ver con la cirugía y con la odontología digital.

 DM.- Hace años su padre, el Prof. Dr. Jaime A. Gil, comenzó a traer a ponentes americanos de renombre, aún desconocidos en Europa, para que impartieran cursos en Madrid. ¿Cómo ha sido la respuesta a esta iniciativa a lo largo de los años?

Dr. A.G.- Mi padre comenzó a organizar ese tipo de cursos en los años 80 y actualmente tenemos una oferta de formación continuada, ya sea teórica o práctica, exagerada contando con cursos todos los fines de semana. Hace 30 años esto no

entrevista ENTREVISTA 34 eldentistamoderno julio-agosto 2023

existía; había un par de cursos a nivel nacional y nadie traía a especialistas extranjeros a España. En aquellos años mi padre tuvo la suerte de formarse en Los Ángeles (Estados Unidos) gracias a su buen nivel de inglés y a su buenísima relación con el Dr. Alex Cooper; de esta manera, todas las amistades y contactos que hizo durante su periplo en Estados Unidos haciendo prótesis le sirvieron para luego traerse a excelentes ponentes americanos a España en un momento en el que nadie lo hacía. Así, mi padre logró traer a gente de la talla de Frank Spier, Vincent Kokich, Peter Moy, Houma Sade, etc., que era la primera vez que venían a nuestro país.

 DM.- Siguiendo los pasos de su padre, recientemente han inaugurado en Bilbao el centro de formación Advanced Esthetic Seminars (AES). ¿Sobre qué concepto de formación nace este proyecto?

Dr. A.G.- Advanced Esthetic Seminars nace precisamente de estos cursos que realizaba mi padre a finales de los 80 y principios de los 90, y de hecho así empezó la compañía que ya después en los últimos años dejó de tener tanto impulso ya que todos esos cursos acaban vehiculizándose a través de SEPES, SEPA, EAO… gracias al apoyo de estas sociedades y asociaciones. Así el proyecto AES, que queda en un “paréntesis”, lo he retomado yo al volver a Bilbao y pasamos a organizar cursos con todos nuestros contactos conjuntos de Estados Unidos y Suiza –donde yo me he formado–, y de esta manera llega la segunda parte del proyecto que realizamos padre e hijo conjuntamente.

 DM.- En concreto, ¿qué cursos se imparten en este nuevo centro? ¿Cuál es el perfil de los profesionales a los que se dirigen estas formaciones?

Dr. A.G.- Los cursos son multidisciplinares, es decir, engloban las diferentes especialidades de la Odontología. Este año hemos apostado por cursos de Mucogingival, que imparto yo personalmente; cursos de Estética y Odontología Digital, con el Dr. Vicente Verbís; cursos de Restauraciones Digitales Chairside a final de año. Y para el año que viene tenemos previsto contar con grandes nombres como el Dr. Ueli Grunder, un implantólogo muy reconocido en Suiza y que realiza regeneraciones horizontales y verticales conjuntamente con sus implantes; el Dr. Steffano Gracis, un doctor italiano que hablará sobre rehabilitación oral sobre dientes e implantes.

Nos centramos sobre todo en la prostodoncia y en la cirugía, mis dos especialidades, pero queremos añadir a lo largo de los años algo de ortodoncia, previsiblemente en 2024. Mi hermano Jaime Gil es especialista en ortodoncia, sobre todo en ortodoncia invisible, y a través de él organizaremos formación también en esta especialidad. En resumen, a través de nuestros cursos trataremos de ocupar la mayoría de las especialidades en Odontología. En cuanto al perfil de los profesionales a los que se dirigen, los cursos están dirigidos a cualquier profesional que quiera profundizar en conocimiento y técnicas en las citadas especialidades: odontólogos recién formados, especialistas, odontólogos extranjeros…

 DM.- Háblenos de las nuevas instalaciones del centro de formación AES en Bilbao.

Dr. A.G.- Estamos localizados en el centro de Bilbao en el emblemático Edificio Albia, en el piso 13 de dicho edificio, lo que hace que el centro de formación AES goce de unas vistas espectaculares 360 grados del skyline de la ciudad de Bilbao.

35 eldentistamoderno julio-agosto 2023
A través de nuestros cursos trataremos de ocupar la mayoría de las especialidades en Odontología

Respecto a la capacidad del centro, podemos recibir entre 15 y 20 participantes por curso. Además, contamos con una pantalla de 4 metros que se desprende desde el techo con un proyector para poder hacer toda la parte teórica y después tenemos una cámara que se conecta a la pantalla para la parte práctica.

 DM.- Cabe destacar que el centro de formación AES de Bilbao cuenta con una de las mayores bibliotecas dentales privadas de Europa, con más de 300 ejemplares. ¿Qué les ha motivado a incluir esta colección en estas instalaciones?

Dr. A.G.- Esta pregunta me hace especial ilusión ya que en mi familia somos todos lectores empedernidos. A nivel personal siempre hemos leído mucho, sobre todo novela negra, ciencia ficción e incluso no ficción (novela histórica, economía, psicología...), y a nivel profesional hemos ido comprando y acumulando libros de Odontología desde que mi padre era estudiante hace 30 años y los 15 años que yo he estado estudiando a la vez que mi hermano. Todo eso ha hecho que hayamos acumulado muchísimos libros y ejemplares de todo tipo, y nos dimos cuenta que qué mejor manera de complementar nuestros cursos de formación que con una biblioteca abierta al público, a todos esos dentistas que se están formando por si alguno estuviera interesado en encontrar un libro sobre un tema muy concreto, con libros desde 2023 hasta hace siglo y medio donde Florestán Aguilar es el autor. Nos hace mucha ilusión compartir todo esto con la gente.

 DM.- Uno de sus hobbies es recopilar libros de Odontología. En este sentido, ¿qué valor cree que ofrecen los libros para desarrollar una carrera profesional en este sector?

Dr. A.G.- Personalmente, yo soy una persona muy curiosa y me encanta leer. De hecho, siempre que en la carrera tenía una asignatura nueva, buscaba un libro que me ilustrase sobre lo que iba aprender ese año. Creo que el valor que ofrecen los libros es altísimo, porque la juventud a día de hoy prefiere consumir información y conocimientos a base de vídeos de corta duración. Sin embargo, un libro requiere una mayor inversión en cuanto a tiempo pero el retorno en conocimiento es inmensamente mayor, no tiene comparación. En Odontología los libros nos ayudan a ser mejores dentistas, a estar al día, a conocer la evidencia científica y las técnicas, incluso nos ayudan en la destreza manual. 

ENTREVISTA 36 eldentistamoderno julio-agosto 2023
entrevista
37 eldentistamoderno julio-agosto 2023 COLOR BLANCO
digitales.
ahora ¿que? 12-14/OCT.
a somos
Y
SEPE S 52
¿qué?
23 Descárgate aquí la APP del congreso Consulta tarifas y PROMOS en www.congresosepes.org Vive la EXPERIENCIA SEPES Si se te han pasado los dos plazos anteriores de tarifa reducida ¡que no se te pase éste porque es el último! Hasta el 30 de SEPTIEMBRE
a somos digitales. Y ahora,
VALENCIA

III Congreso Knotgroup “Los Orígenes”

UN EVENTO QUE MARCA UN HITO EN LA ODONTOLOGÍA

El III Congreso Knotgroup “Los Orígenes”, celebrado el pasado 27 de mayo de manera presencial en Vigo y durante una semana en formato digital y difusión internacional, reunió a miles de asistentes de más de 19 países. Con la mirada puesta en el futuro, el evento fue un lugar para debatir sobre la aplicación de las nuevas tecnologías en la Odontología.

El Congreso comenzó con una bienvenida en la que participaron Abel Caballero, alcalde de Vigo; José María Suárez Quintanilla, presidente del Colegio Oficial de Dentistas de la provincia de A Coruña (ICOEC); y Adriana Sanz Marchena, presidenta del Colegio de Oficial de Dentistas de Pontevedra y Orense (CDPO); junto a Pedro Guitián, presidente del Congreso; y Luis Mallo, presidente de Knotgroup.

El tema principal del III Congreso Knotgroup "Los Orígenes" fue la relación entre la Medicina y la Odontología, entre la salud bucal y las implicaciones en la salud general de los pacientes. El encuentro, presidido por el odontólogo vigués Pedro Guitián, incluyó numerosas conferencias y talleres. Más de 40 ponentes expertos en diferentes materias como la Odontología, la Diabetes, la Periodoncia, la Inteligencia Artificial, la Medicina o la Gestión de Clínicas Dentales presentaron sus investigaciones y casos clínicos en estas áreas con el objetivo de mejorar la atención dental.

Coruña (ICOEC); y Adriana Sanz Marchena, presidenta del Colegio de Oficial de Dentistas de Pontevedra y Orense (CDPO); junto a Pedro Guitián, presidente del Congreso; y Luis Mallo, presidente de Knotgroup.

La relación entre la Medicina y la Odontología

El Congreso estuvo conducido por el actor gallego Sergio Pazos. El evento se desarrolló en cuatro Salas de forma paralela. En el Auditorio, se habló de la relación entre las distintas especialidades médicas con la Odontología. Ponentes de prestigio como el Prof. Dr. Ángel Carracedo, catedrático de Medicina Legal, investigador, experto internacional en genética y miembro de la Real Academia Gallega de Ciencias, participaron en esta sala. Asimismo, profesionales de diferentes especialidades como el ginecólogo Roque Devesa, el endocrino Dr. Alfonso López Alba y la hematóloga Dra. María Ferreiro intervinieron en la misma, entre otros. Por su parte, el Dr. José Luis de la Hoz, miembro de Knotgroup, habló sobre la relación del dolor orofacial con otras especialidades médicas.

Contacto:

Knotgroup Dental Corporation

www.knotgroupdentalcorporation.com

info@knotgroupdentalcorporation.com

“Los Orígenes” comenzó con una bienvenida en la que participaron Abel Caballero, alcalde de Vigo;

José María Suárez Quintanilla, presidente del Colegio Oficial de Dentistas de la provincia de A

Digitalización, IA y gestión de clínicas

En la Sala de Conferencias se abordaron temas relacionados con Digitalización, Inteligencia Artificial y Gestión de Clínicas y Equipos. En las ponencias se

oral medicine inside 38 eldentistamoderno julio-agosto 2023 UN GRUPO DE INNOVACIÓN

habló sobre el flujo digital en restauraciones directas e indirectas de composite, del intraoral a la micra y sobre la aplicación de la Inteligencia Artificial a la Odontología. El Dr. Pedro Guitián y el Dr. Didier Delmas, miembros de Knotgroup, participaron en una Mesa Redonda de Digitalización.

Talleres

La tercera edición del Congreso Knotgroup también contó con un interesante programa de talleres impartidos en la Sala Talleres IPD y llevados a cabo por miembros de las Clínicas Knotgroup, en estrecha colaboración con distintas empresas del sector que han estado involucradas desde el principio en la puesta en marcha del evento. IPD impartió un taller orientado hacia la obtención de resultados predecibles en prostodoncia digital; y, por su parte, EMS relacionó el uso de Guided Biofilm Theraphy y la salud periodontal. Clínicas Knotgroup como Clínica Dental Barcelona, Delmas Clinic, Clínica Otero y Oriol Cantó Dental Design participaron en la Sala con unos talleres teórico prácticos enfocados en las nuevas tecnologías, Realidad Virtual y su aplicación en Odontología.

Hacia una visión global en el cuidado dental

La Sala 360 cuenta con un Bloque de Atención Integral en el que se destacó la importancia de una visión global en el cuidado dental. En las ponencias se habló sobre la toma de decisiones ante urgencias médicas en la clínica dental, los beneficios de la sedación consciente intravenosa en la clínica y la gestión de las emociones en la consulta. El segundo bloque temático, sobre el Observatorio de Sistemas de Gestión de Pacientes, promovió la colaboración interdisciplinaria incorporando las

Con la mirada puesta en el futuro, el III Congreso Knotgroup “Los Orígenes” fue un lugar para debatir sobre la aplicación de las nuevas tecnologías en la Odontología.

39 eldentistamoderno julio-agosto 2023
La relación entre la Medicina y la Odontología, entre la salud bucal y las implicaciones en la salud general de los pacientes, fue el tema principal del Congreso
Abel Caballero, alcalde de Vigo.
Más de 40 ponentes expertos en Odontología, Diabetes, Periodoncia, Inteligencia Artificial, Medicina o Gestión de Clínicas Dentales presentaron sus investigaciones y casos clínicos en estas áreas con el objetivo de mejorar la atención dental

medicine

Clínicas Knotgroup como Clínica Dental Barcelona, Delmas Clinic, Clínica Otero y Oriol Cantó Dental Design participaron en la Sala con unos talleres teórico prácticos enfocados en las nuevas tecnologías, Realidad Virtual y su aplicación en Odontología

nuevas tecnologías como el ChatGPT y la obtención de datos con el objetivo de mejorarlos y brindar una atención de calidad a los pacientes.

Un evento enriquecedor para todos

Knotgroup se consolida un año más como un grupo diferenciador en el sector, que cuenta con profesionales de gran trayectoria que aportan calidad, servicio y máximo conocimiento para sus pacientes

Con ello, Knotgroup se consolida un año más como un grupo diferenciador en el sector, que cuenta con profesionales de gran trayectoria que aportan calidad, servicio y máximo conocimiento para sus pacientes. El III Congreso Knotgroup “Los Orígenes” demostró ser un evento enriquecedor para todos los profesionales, tanto de la Odontología como la Medicina y para la Gestión de Clínicas. Asimismo, la convergencia entre las dos materias principales y Digitalización, y la Inteligencia Artificial especialmente, ha abierto un nuevo mundo de posibilidades para el futuro cercano de la atención dental.

Representación del sector odontológico

El III Congreso Knotgroup contó con el apoyo de importantes empresas del sector: Normon Dental, EMS, Nobel Biocare, IPD 2004, FBA, Teethan, Straumann, Createch, Bioner, Editorial Quintessence, Inspiria Dental, Talentua, Indolora, Klinikare y Dental

40 eldentistamoderno julio-agosto 2023 UN GRUPO DE INNOVACIÓN
oral
inside
En la imagen, socios de Knotgroup.

Monitoring, Henry Schein Schmidt, Infomed, Biohorizons, Corus y MegaGEN. La industria participó en unos puntos de encuentro brindando a los asistentes una valiosa oportunidad de estar informados de los últimos avances, productos y servicios. Compartieron información relevante presentando nuevas investigaciones, productos innovadores y tecnologías emergentes. Todo ello promovió el intercambio de conocimientos, así como la colaboración con profesionales y expertos del sector.

En definitiva, desde Knotgroup confirman que el III Congreso Knotgroup “Los Orígenes” ha sido un éxito que reunió a miles de asistentes de más 19 países en su versión online y a 500 congresistas de manera presencial el pasado 27 de mayo. El evento logró ofrecer al sector diferentes formas de mejorar los procedimientos para tratar a los pacientes con la ayuda de la tecnología y, sobre todo, de los equipos que forman nuestras clínicas. Porque esto es Knotgroup. Un Grupo de Clínicas. Un Grupo de Equipos. 

41 eldentistamoderno julio-agosto 2023

pensando en el futuro

EFP Innovation Award for Digital Solutions for Gum Health 2023

LAS SOLUCIONES DIGITALES MÁS INNOVADORAS PARA MEJORAR LA SALUD PERIODONTAL

Con el objetivo de fomentar la innovación, apoyar a los clínicos e impulsar la salud periodontal en beneficio de los pacientes y de la sociedad en general, la Federación Europea de Periodoncia (EFP) ha premiado tres proyectos innovadores –de Francia, Suiza y Reino Unido– en el marco del EFP Innovation Award for Digital Solutions for Gum Health 2023.

Texto: B. Suárez

Fomentar la innovación en el ámbito de las soluciones digitales que contribuyan a mejorar la salud de las encías para todos es el objetivo del EFP Innovation Award for Digital Solutions for Gum Health 2023, convocado por la Federación Europea de Periodoncia (EFP). La EFP ha anunciado los ganadores en Francia, Suiza y Reino Unido de la edición 2023 de estos galardones, que se conceden anualmente con el apoyo de Haleon, socio de la EFP.

A través de estos premios, “la EFP se complace en recompensar el trabajo innovador, apoyar a los clínicos e impulsar la salud periodontal en beneficio de nuestros pacientes y de la sociedad en general.

La EFP continuará, con el apoyo de su socio Haleon, apoyando la tecnología digital de vanguardia en

2024 y en los años venideros”, asegura Andreas Stavropoulos, presidente del comité científico de la EFP y expresidente de la EFP (2022-23). Desde la EFP también impulsan la aplicación de la tecnología digital al servicio de la salud periodontal de la población a través de otras acciones. “Intentamos ir más allá de nuestras páginas en redes sociales y de nuestra web www.efp.org, que últimamente se apoya cada vez más en infografías, animaciones y vídeos, e incluye un conjunto de publicaciones digitales, entre las que destacan nuestros boletines mensuales y nuestra plataforma de conocimiento científico EFP Virtual que incluye, entre otros, nuestros podcasts Perio Talks. Entre estas iniciativas destacaría la aplicación EFP, disponible para dispositivos Apple y Android, y en particular el autodiagnóstico de la salud de las encías que alberga”, apunta Stavropoulos.

My PerioCare (Francia)

El primer premio ha recaído en “My PerioCare”, de Claire Bigot, de la Universidad Paris Cité. Su aplicación aborda las necesidades insatisfechas tanto de los pacientes como de los dentistas para mejorar el tratamiento peridontal, desde la prevención primaria hasta el propio tratamiento de la enfermedad. Tal y como explica Bigot, “el objetivo de My PerioCare es optimizar el cuidado de las enfermedades periodontales desde la prevención hasta el tratamiento, ayudando tanto a los dentistas como a los pacientes de forma personalizada”. My PerioCare ayuda a los profesionales de la salud bucodental a diagnosticar la enfermedad de las encías según un conjunto de parámetros, para que puedan

42 eldentistamoderno julio-agosto 2023 REPORTAJE

En la imagen de la izquierda, Claire Bigot, de la Universidad Paris Cité, ganadora del primer premio en el EFP Innovation Award for Digital Solutions for Gum Health 2023, por su aplicación My PerioCare.

En la imagen de la derecha, My PerioCare es una aplicación dirigida a optimizar el cuidado de las enfermedades periodontales desde la prevención hasta el tratamiento, ayudando tanto a los dentistas como a los pacientes de forma personalizada.

prescribir la aplicación a sus pacientes con el fin de proporcionarles servicios personalizados, como información sobre cuidados específicos, educación bucodental en función de sus parámetros periodontales e incluso teleconsulta si fuera necesario. A lo largo del tratamiento, el seguimiento es personalizado y no intrusivo.

La aplicación My PerioCare destaca además por su doble utilidad, ya que resulta útil tanto para los dentistas como para los pacientes. “Por un lado, My PerioCare ayuda a los dentistas con el diagnóstico periodontal, la sensibilización y la educación terapéutica. Más concretamente, y desde una perspectiva global, la solución ofrece al dentista un mejor seguimiento de sus pacientes, con una mejor comunicación a lo largo de todo el tratamiento, para un mayor éxito de sus cuidados periodontales”, apunta Bigot, añadiendo que “por otro lado, esta aplicación ayuda a los pacientes de forma personalizada con información específica sobre su enfermedad periodontal, así como con recomendaciones precisas de higiene bucodental. En resumen, My PerioCare es un socio digital tanto para dentistas como para pacientes para mejorar la salud periodontal teniendo en cuenta la tercera área de la medicina periodontal, la medicina de las 4P (Predicción, Prevención, Personalización y Participación) y las innovaciones actuales en salud móvil”. Respecto a la financiación para poder llevar a cabo el proyecto, Bigot asegura que “he buscado y sigo buscando diferentes tipos de financiación. Ayudas públicas de universidades, hospitales (Assistance Publique des Hôpitaux de Paris) y ministerios de educación; además de las privadas, como la de la EFP con el apoyo de Haleon, y probablemente otras de empresas médicas. La siguiente es pública y depende de la Banque Publique d’Investissement de France”.

My.periodontal-health.com (Suiza)

El segundo premio fue para el proyecto “My.periodontal-health.com”, presentado por Christoph Ramseier, de la Universidad de Berna. Según explica Ramseier, este sitio web “proporciona cuidados periodontales personalizados a los pacientes, ayudándoles a mantener la estabilidad periodontal durante los cuidados periodontales de apoyo (SPC, del inglés Supportive Periodontal Care). En primer lugar, permite a los pacientes comprender las razones específicas de sus intervalos de cuidados periodontales de apoyo. Al obtener esta información, los pacientes pueden comprender la importancia del SPC y sentirse motivados para mejorar sus prácticas de higiene bucal respetando los intervalos recomendados”.

El segundo premio del EFP Innovation Award for Digital Solutions for Gum Health 2023 fue para Christoph Ramseier, de la Universidad de Berna, por su proyecto My.periodontal-health.com.

My.periodontal-health.com es una herramienta que favorece la atención periodontal personalizada y permite a médicos y pacientes transferir datos clínicos de otras tecnologías perio.

siguiendo la evolución de la Odontología 43 eldentistamoderno julio-agosto 2023

pensando en el futuro

Desarrollado en colaboración con ucranianos, esta herramienta favorece la atención periodontal personalizada y permite a médicos y pacientes transferir datos clínicos de otras tecnologías perio como www. perio-tools.com. En este sentido, el creador de My.periodontal-health.com asegura que “esta innovadora herramienta aborda el vacío existente en las soluciones digitales actuales utilizadas por los proveedores de atención sanitaria bucodental, lo que mejora el rendimiento del paciente, su autoeficacia y su adherencia a los cuidados periodontales de apoyo. Los pacientes pueden aprovechar esta tecnología para mejorar su salud bucodental en general”. De este modo, ayuda a los pacientes a conseguir y mantener la estabilidad periodontal: por ejemplo, pueden recibir recordatorios por correo electrónico sobre próximas visitas a la clínica u obtener una estimación de los costes sanitarios que han ahorrado por acudir regularmente a sus citas. “Además de los beneficios mencionados, esta herramienta ofrece otras ventajas a los pacientes. Ayuda a establecer umbrales para la estabilidad periodontal, de forma similar a como se establecen umbrales para controlar enfermedades como la hipertensión o la diabetes. Al comprender estos umbrales y cómo sus parámetros periodontales personales se alinean con ellos, los pacientes obtienen información valiosa. Esta comunicación transparente y moderna de la información permite a los pacientes tomar el control de su salud bucodental y tomar decisiones informadas sobre su cuidado periodontal”, añade Ramseier.

Digital technology monitored and controlled oral endotoxin activity levels (Reino Unido)

El tercer premio se concedió a “Digital technology monitored and controlled oral endotoxin activity levels for personalised primary and secondary prevention of gum diseases and related systemic complications” para la prevención primaria y secundaria personaliza-

El proyecto ganador del tercer premio en el EFP Innovation Award for Digital Solutions for Gum Health 2023 presenta un dispositivo digital que utilizará muestras de saliva y placa dental para controlar y seguir los cambios en los niveles de actividad de las endotoxinas orales, incluyendo una prueba salival para el autodiagnóstico en casa y una prueba subgingival de uso profesional.

da de las enfermedades periodontales y las complicaciones sistémicas relacionadas, desarrollado por Svetislav Zaric, del King’s College de Londres. Consiste en dos pruebas rápidas y fiables basadas en el perfil de endotoxinas bacterianas orales: una prueba de placa subgingival que realizarán los profesionales dentales para la gestión personalizada y específica de las condiciones periodontales de los pacientes, y un autodiagnóstico salival para el público en general, que puede realizarse en casa, para la detección precoz y la prevención de la enfermedad periodontal antes de que se produzca un deterioro significativo de los tejidos.

El objetivo de este proyecto, según explica Zaric, es “desarrollar y evaluar un método digital de cribado, seguimiento y diagnóstico rápido, eficaz y objetivo, basado en la actividad de las endotoxinas subgingivales y salivales, con capacidad para detectar la susceptibilidad a las enfermedades periodontales, identificar la progresión de la enfermedad, evaluar la respuesta al tratamiento y predecir la futura destrucción tisular”. En definitiva, se trata de “un dispositivo digital que utilizará muestras de saliva y placa dental para controlar y seguir los cambios en los niveles de actividad de las endotoxinas orales”, asegura Zaric.

El responsable del proyecto ganador del tercer premio añade que “la prueba salival debería estar disponible para un gran número de personas a través de la venta al por menor y general, y podría ser utilizada de forma rutinaria por el público en general para el autodiagnóstico, con el fin de controlar y mejorar su salud periodontal. Por su parte, la prueba subgingival está destinada a los profesionales de la odontología para un cuidado periodontal personalizado, específico y puntual”. Para la financiación de este proyecto, su responsable señala que está trabajando en “una colaboración con un socio industrial con experiencia en medicina de precisión, desarrollo y validación de dispositivos”. 

44 eldentistamoderno julio-agosto 2023 REPORTAJE
Svetislav Zaric, del King’s College de Londres, ha sido el ganador del tercer premio en el EFP Innovation Award for Digital Solutions for Gum Health 2023, por “Digital technology monitored and controlled oral endotoxin activity levels for personalised primary and secondary prevention of gum diseases and related systemic complications”.
siguiendo la evolución de la Odontología 45 eldentistamoderno julio-agosto 2023 CONGRESO X X SECIB CÓRDOBA 21-23 SET’23 www.secibonline.com Secretaría Técnica Grupo Meraki - Eventos con alma c/ Bruc, 28, 2 - 08010 Barcelona Tel. 607 499 365 congreso@secibonline.com ¿Te lo vas a perder? PONENTES JOSÉ MANUEL AGUIRRE EDUARDO ANITUA GUSTAVO ÁVILA JOSÉ V. BAGÁN JUAN BALLESTEROS LUIGI CANULLO ANTONIO CASTILLA ADRIANA CASTRO JOSÉ MIGUEL CISNEROS LUIS CUADRADO JOSÉ L. DOMÍNGUEZ ABDELSALAM ELASKARY IGNACIO FERNÁNDEZ ANA FERNÁNDEZ DAVID GONZÁLEZ AIDA GUTIÉRREZ JOSÉ L. GUTIÉRREZ ARGIMIRO HERNÁNDEZ JUAN LARA ENRIQUE LÓPEZ ERNEST MALLAT EDUARDO MONTERO PATRICK PALACCI CARLOS PARRA ANTONIO ROMERO MANUEL M. ROMERO Mª. ÀNGELS SÁNCHEZ JUAN SEOANE JORGE TOLEDANO TERRY ZANIOL IÑIGO FDEZ-FIGARES GIULIANO FRAGOLA ÓSCAR GONZÁLEZ JORGE GALANTE JERIAN GONZÁLEZ PABLO GALINDO RONAR GUDIÑO COSME GAY

“TODAS LAS ACTIVIDADES

DEL 43 CONGRESO NACIONAL DE AEDE

ESTÁN

ORIENTADAS HACIA LA APLICACIÓN PRÁCTICA EN LA CLÍNICA”

Dra. Ruth Pérez Alfayate, presidenta del Comité Organizador del 43 Congreso Nacional de AEDE (2-4 noviembre, Tenerife)

La Asociación Nacional de Endodoncia (AEDE) celebrará su 43 Congreso Nacional entre los días 2 y 4 de noviembre en Tenerife. La Dra. Ruth Pérez Alfayate, presidenta del Comité Organizador de esta cita, nos detalla en esta entrevista las claves del programa científico de este encuentro que, basado en la evidencia científica y con un marcado perfil clínico, pretende ayudar a los asistentes a aplicar todos los conocimientos adquiridos en su práctica clínica.

 DM.- Como presidenta del Comité Organizador del 43 Congreso Nacional de la Asociación Nacional de Endodoncia (AEDE), ¿cuál es el objetivo de este encuentro?

Dra. Ruth Pérez Alfayate (Dra. R.P.A.).- Hemos diseñado este congreso con un perfil fundamentalmente clínico porque precisamente nuestro objetivo es que los profesionales puedan aplicar los conocimientos adquiridos cuando regresen a su trabajo la semana siguiente. Aprender de nuestros compañeros es muy importante y queremos que la cita en Tenerife se convierta en el mejor escenario para ello.

 DM.- La cita tendrá, por tanto, un carácter marcadamente clínico. ¿Cuáles han sido las bases para diseñar el programa del Congreso?

Dra. R.P.A.- Aunque los congresos son fundamentales para la formación y para la actualización de los clínicos, a veces tienen una marcada base teórica y, a la hora de llevar a cabo la aplicación en la clínica, los profesionales pueden tener dudas, que luego tienen que resolver en cursos independientes. Desde AEDE queríamos crear un congreso clínico basado en la evidencia científica, de manera que los asistentes comprendan exactamente cómo aplicar esos conocimientos teóricos.

 DM.- ¿Cuáles serán los bloques temáticos en torno a los cuales se estructura el programa?

Dra. R.P.A.- La idea es que el congreso abarque todos los temas y se han creado para ello salas

entrevista ENTREVISTA 46 eldentistamoderno julio-agosto 2023

Inscripción a precio reducido hasta el 28 de junio congreso.aede.info

#ATenerifeSeVaUnaSemana

con temáticas concretas, como los procedimientos quirúrgicos, la endodoncia regenerativa, la restauración, la endodoncia básica, el retratamiento, etc.

 DM.- En este sentido, ¿cuáles son las temáticas que más interesan a los especialistas en Endodoncia? ¿Cómo les ayudará su asistencia al Congreso en el día a día en la clínica?

Dra. R.P.A.- Las temáticas que les interesan son múltiples, por eso intentaremos que estén todas presentes. Todas las actividades estarán orientadas hacia esa aplicación práctica en la clínica, así que esperamos que la asistencia al congreso les sea de gran utilidad.

 DM.- Por otro lado, ¿qué especialistas participarán en la 43ª edición del Congreso Nacional de AEDE?

Dra. R.P.A.- Generalmente acuden profesionales dedicados de manera exclusiva o con mucha carga en Endodoncia, pero también participan odontólogos generales y de otras especialidades que tengan interés en los contenidos que van a tratar cada uno de los ponentes. Es además una gran oportunidad para contactar con otros colegas de profesión.

 DM.- El encuentro también albergará la celebración de diversos talleres y charlas. ¿Qué temáticas centrarán estos espacios?

Dra. R.P.A.- El taller principal será el curso precongreso, que impartirá la doctora Paula Villa y que se centrará en el manejo de tejidos blandos durante la cirugía periapical. Sin embargo, algunas casas comerciales también realizarán distintos talleres para enseñar sus productos a los asistentes.

 DM.- Sobre ExpoEndo, ¿qué novedades podrán encontrar los profesionales asistentes en este espacio expositivo?

Dra. R.P.A.- Estamos todavía cerrando muchas cosas del congreso y una de ellas es la exposición.

Las casas comerciales están ya trabajando para ofrecer sus últimas novedades, por lo que todavía no podemos avanzar nada en concreto, pero seguro que los asistentes podrán descubrir los avances más novedosos de cada una de ellas.

 DM.- En esta ocasión han elegido Tenerife para celebrar el Congreso Nacional de AEDE 2023. ¿De qué manera potenciarán desde la Asociación un programa de ocio paralelo que permita a los profesionales asistentes disfrutar también de la isla y su entorno?

Dra. R.P.A.- Desde el inicio, la idea ha sido crear un congreso más compacto para reducir las horas docentes y permitir que los asistentes tengan más tiempo para el ocio. Tenerife es un lugar con grandes paisajes naturales, una gran gastronomía y mucha cultura que seguro que todos querrán conocer. 

ENTREVISTA 48 eldentistamoderno julio-agosto 2023
entrevista
“ Nuestro objetivo es que los profesionales puedan aplicar los conocimientos adquiridos cuando regresen a su trabajo la semana siguiente ”
w w w.ordax.com

ÓSCAR CASTRO ES NOMBRADO ACADÉMICO

DE NÚMERO,

MEDALLA 18,

DE LA ACADEMIA DE CIENCIAS ODONTOLÓGICAS DE ESPAÑA

de la junta de gobierno, haberle considerado “como un puntal más junto con ellos de expansión y defensa dentro de nuestro ámbito de la cultura y el saber científico”. Asimismo, mostró su gratitud a su familia, a los trabajadores del Consejo, a todos los miembros de los diferentes comités ejecutivos que le han acompañado a lo largo de sus mandatos, y a los profesores Pía López Jornet y Juan Manuel Seoane Lestón, coordinadores de las campañas de prevención y concienciación sobre cáncer oral realizadas desde el Consejo General de Dentistas de España.

La Academia de Ciencias Odontológicas de España ha nombrado académico de número, con la medalla 18 de la institución, al Dr. Óscar Castro Reino, presidente del Consejo General de Dentistas. Al acto asistieron numerosas personalidades del ámbito de la Sanidad en general y de la Odontología en particular, como el presidente del Consejo Andaluz de Dentistas, presidentes de varios Colegios Oficiales de Dentistas, presidentes de los Consejos Sanitarios, Raquel Murillo y Luis Campos, de AMA; el comité ejecutivo del Consejo de Dentistas y numerosos amigos y familiares. Asimismo, ha estado presente el prestigioso abogado Ricardo de Lorenzo, que ha tomado posesión como académico de honor de la institución.

Castro comenzó su discurso de ingreso agradeciendo al Prof. Antonio Bascones Martínez, presidente de la Academia, y a todos los miembros

De hecho, el tema elegido por Óscar Castro para su discurso ha sido el papel del Consejo en el cáncer oral, una enfermedad que representa el 4% de todos los cánceres a nivel mundial. Se estima que su incidencia se sitúa entre los 275.000 y 300.000 nuevos casos anuales.

“En nuestro país, la prevalencia del cáncer oral es de unas 60.000 personas, de las cuales, dos tercios son hombres. Se encuentra estrechamente relacionado con la edad, produciéndose a partir de los 55 años en más del 80% de los casos”, explicó. Cada año se diagnostican en España unos 8.200 nuevos casos de esta patología, representando el 3% de todos los cánceres. Anualmente fallecen unos 1.500 españoles debido al cáncer oral, lo que supone 4 muertes diarias por esta causa y 500 muertes más que las ocasionadas por los accidentes de tráfico. “Dependiendo de la localización del tumor, la supervivencia al año se sitúa entre el 78-84%, disminuyendo al 50% transcurridos los 5 años. La detección precoz permite aumentar la tasa de supervivencia al 90%. Sin embargo, se estima que en nuestro país solo se detecta de manera precoz entre el 25-30% de los cánceres orales”, destacó Castro 

EL CONSEJO GENERAL DE DENTISTAS Y LA FDE LANZAN UNA CAMPAÑA PARA PROMOVER LA ODONTOLOGÍA SOSTENIBLE

ElConsejo General de Dentistas de España y la Fundación Dental Española (FDE) han puesto en marcha una campaña para promover la Odontología sostenible en las clínicas dentales de nuestro país. Se trata de una acción dirigida a los más de 40.000 dentistas colegiados en España. Aquellos que deseen participar, recibirán una completa guía explicativa con numerosas claves para favorecer la sostenibilidad en la práctica odontológica, así como un vinilo de reconocimiento por su participación en la campaña, que podrán colocar en sus clínicas dentales.

Para inscribirse en la campaña, los interesados únicamente deberán rellenar una sencilla encuesta que ya está disponible en la citada página web sobre sus hábitos de trabajo en las consultas. Con los datos recopilados, el Consejo General de Dentistas y la Fundación Dental Española elaborarán un informe que posteriormente servirá para analizar el grado de sostenibilidad existente tanto en la práctica odontológica como en las clínicas dentales.

“El Consejo General de Dentistas de España y la Fundación Dental Española se han sumado a las últimas iniciativas planteadas por la Federación Dental Internacional con la campaña Odontología sostenible con la convicción de que, realizando pequeños gestos, se pueden alcanzar grandes resultados”, ha explicado el Dr. Óscar Castro Reino, máximo responsable de la Organización Colegial de Dentistas.

El Dr. Castro ha indicado que, con esta iniciativa, “pretendemos ayudar a los dentistas y a sus equipos a impulsar sus actividades hacia una mayor práctica sostenible. Hacerlo es bueno para el planeta, para los pacientes y para las clínicas. Cada cual, en el ámbito de su práctica diaria, valorará qué gestos puede introducir, qué acciones quiere llevar a cabo y qué nivel de compromiso desea contraer. Sean cuales sean éstos, la suma de todos estos pequeños esfuerzos nos permitirá avanzar hacia la sostenibilidad”, ha explicado. 

actualidad NOTICIAS 50 eldentistamoderno julio-agosto 2023

EL CONSEJO GENERAL DE DENTISTAS PRESENTA SUS PROPUESTAS SANITARIAS PARA LA PRÓXIMA LEGISLATURA

racidad y proteger así el derecho a la salud de los ciudadanos y evitar escándalos como los que se han producido en los últimos años en el sector y que han dejado miles de damnificados.

En la misma línea, la organización aboga por la creación de las especialidades odontológicas, puesto que España sigue siendo el único país de la Unión Europea donde no están reconocidas de manera oficial. Los cursos de postgrado que actualmente realizan los dentistas españoles no están reconocidos en el resto de los países europeos, de tal forma que, si deciden emigrar, la única opción que tienen es aceptar ser contratados como Odontólogos generalistas y no especialistas. Por otra parte, el Consejo General considera que es necesario aplicar de una manera real y efectiva la Ley de Sociedades Profesionales, para que el control empresarial de las sociedades que se dedican a la prestación de servicios profesionales esté en manos de colegiados y sometido al control deontológico correspondiente. 

El Consejo General de Dentistas de España ha elaborado un completo dossier que expone los principales problemas que padece la Odontología española y aporta las soluciones necesarias para impulsar una mejora sustancial tanto en el ejercicio profesional como en la calidad asistencial. Se trata de un documento que recoge las reivindicaciones de la profesión y que se ha remitido a los partidos políticos que concurren a las Elecciones Generales convocadas el 23 de julio, con el objetivo de que el nuevo Gobierno emanado de las urnas conozca de primera mano la situación de la Odontología en nuestro país. “Este dossier detalla los retos que afrontamos y las necesidades que tiene nuestra profesión. No queremos perder ni un minuto y desde ya mismo estamos a disposición de todos los partidos para trabajar conjuntamente y mejorar entre todos la atención bucodental que reciben los ciudadanos”, ha explicado el Dr. Óscar Castro Reino, presidente del Consejo General de Dentistas.

Principales retos de futuro

El Consejo General de Dentistas defiende la ampliación de la cartera de servicios del Sistema Nacional de Salud para que el coste de la salud bucodental deje de recaer de manera directa sobre la economía familiar, lo que supondría importantes avances en la salud de los ciudadanos y eliminaría desigualdades. Se trata de impulsar programas de atención dental infantil y ofrecer un nivel adecuado de atención a colectivos con necesidades especiales y bajos recursos.

Otra de las cuestiones más importantes en la agenda de la Organización Colegial, que se ha convertido ya en una demanda histórica, es la necesidad de impulsar una normativa que regule la publicidad sanitaria de centros, servicios y prestaciones para garantizar su ve-

EL CONSEJO RENUEVA SU IMAGEN CORPORATIVA

El Consejo General de Dentistas ha renovado su identidad corporativa con el objetivo de actualizar su imagen y reflejar mejor la visión, misión y valores de la institución. Después de un laborioso proceso de trabajo y reflexión, se ha llegado a la determinación de que este nuevo diseño se adapta a las tendencias contemporáneas, refleja a la perfección la personalidad del Consejo y fortalecerá su presencia en la sociedad. “Con este rediseño hemos querido volver a los orígenes de la Organización, combinando el emblema original con las muelas en forma de cruz, lo que refuerza la identidad, la autenticidad y los valores del Consejo, pero incorporando un toque de modernidad. El nuevo logotipo simboliza nuestro compromiso con la tradición y la calidad, y a la vez refleja nuestra visión de futuro y nuestra capacidad de evolucionar y adaptarnos a los cambios”, han explicado desde el Consejo. El color elegido ha sido el verde, vinculado con la salud y el bienestar, y que transmite calma y tranquilidad. Al mismo tiempo, el Consejo General de Dentistas está muy concienciado con la sostenibilidad y la promoción de una Odontología respetuosa con el medio ambiente, por lo que el verde es la elección perfecta para identificarlo con esos principios. La nueva web del Consejo de Dentistas de España ha experimentado varias mejoras y cambios significativos. Se ha renovado su diseño para ofrecer una apariencia más atractiva y mejorar la usabilidad.

51 eldentistamoderno julio-agosto 2023

EL SECTOR DENTAL CRECE UN 2,3% EN 2022

El Sector de Tecnología Sanitaria en España creció un 7% en 2022, alcanzando una facturación conjunta de 10.150 millones de euros y, en concreto, el sector dental (2,3%), tras la fuerte recuperación del 2021, vivió una significativa contracción asociada al menor gasto dental de particulares en un sector principalmente privado, según los datos de la Memoria Anual de Sostenibilidad 2022 de la Federación Española de Empresas de Tecnología Sanitaria (Fenin).

La buena evolución de esta industria, y su mayor proyección internacional, también queda corroborado con los 4.297 millones de euros facturados en exportaciones, lo que supone un crecimiento del 16% en comparación a 2021. La contribución estratégica y esencial de este sector para el país también se constata en términos de empleabilidad, al generar ya 30.500 puestos de trabajo directos, lo que supone un incremento del 5% respecto al ejercicio anterior (1.500 empleos).

“Los resultados del Sector son positivos a pesar de que durante 2022 las compañías han tenido que hacer frente a la situación geoeconómica mundial que derivó en una crisis global de suministros y un aumento exponencial de los costes productivos. Ante este contexto, nuestra industria ha redoblado esfuerzos para minimizar el impacto de la crisis en la sociedad y se ha refrendado como estratégica y esencial”, valora Jorge Huertas, presidente de Fenin.

Evolución por sectores

La facturación registrada en 2022 tuvo, no obstante, una evolución dispar, debido a la heterogeneidad de esta industria y a los condicionantes que, aunque en menor medida respecto a ejercicios precedentes, ha seguido teniendo la pandemia en determinados sectores. El sector que más creció fue el de Tecnología y Sistemas de Información Clínica (con un aumento de la facturación del 132%), a consecuencia principalmente de la adjudicación y ejecución de contratos en el marco del Plan INVEAT para la renovación de equipamiento de alta tecnología en hospitales. En cambio, el de Diagnóstico in Vitro experimentó el mayor decrecimiento, del 20%, debido al ya leve impacto de la pandemia y la contracción del mercado de test de detección del SARS-CoV-2. Otro sector que experimentó una bajada de la facturación es el de Nefrología (-2,3%).

Mientras, los sectores vinculados a actividad quirúrgica como Oftalmología (15%), Traumatología (5,4%) y Cardiología (4,5%), presentaron valores positivos, aunque inferiores al crecimiento del 2021. Los Productos Sanitarios Incluidos en la Prestación Farmacéutica crecieron un 5,1%, un porcentaje similar al de los Productos Sanitarios de Un solo Uso (5%), mientras que el sector de Terapias Respiratorias Domiciliarias (excepto Gases Medicinales) experimentó un aumento del 4%. Por su parte, el sector Dental, como ya hemos visto, creció un 2,3% en 2022, una significativa contracción asociada al menor gasto dental de particulares en un sector principalmente privado. 

actualidad NOTICIAS 52 eldentistamoderno julio-agosto 2023
Fuente: Memoria Anual de Sostenibilidad 2022 de Fenin.

SECIB ENTREGA SUS PREMIOS CIENTÍFICOS 2023 EN CÓRDOBA

LaSociedad Española de Cirugía Bucal (SECIB) entregó el 30 de junio sus Premios Científicos 2023 en Córdoba, ciudad que acogerá también, los días 21, 22 y 23 de septiembre el XX Congreso SECIB. El acto, celebrado en la sede del Colegio Oficial de Dentistas de Córdoba (Codecor), ha incluido una jornada de actualización científica sobre cáncer impartida por los doctores José Luis Gutiérrez y Guillermo Machuca. El trabajo reconocido este año como mejor artículo científico publicado en la revista Medicina Oral, Patología Oral y Cirugía Bucal ha sido “Comparison of two different lingual flap advancement techniques and vascular structure identification: a human cadaver study”, de los doctores Carlos Noguera Mutlló, Bassel Traboulsi Garet, Octavi Camps Font, María Cristina Manzanares Céspedes, Rui Figueiredo y Eduard Valmaseda Castelló. El premio al mejor artículo de investigación sobre cirugía bucal publicado en revistas de impacto extranjeras ha sido para “Prevalence of periodontitis among the patiens diagnosed with marfan syndrome: a cross-sectional

study comparing samples of healthy patiens” (BioMed Research International), firmado por los doctores Cosimo Galletti, Jorge Toledano Serrabona, Octavi Camps Font, Gisela Teixido Tura, Inmaculada Llobet Poal, Carles Subirà Pifarré, Luca Fiorillo y Cosme Gay Escoda.

Los doctores Gisela C. V. Camolesi, José M. Somoza Martín, María D. Reboiras López, Fabio Camacho Alonso, Andrés Blanco Carrión y Mario Pérez Sayáns han merecido el premio al mejor artículo de investigación sobre implantología bucal en revistas de impacto extranjeras, por “Photobiomodulation in dental implant stability and post-surgical healingand inflammation. A randomised double-blind study” (Clinical Oral Implants Reserch).

Por su parte, la alumna de la Universidad de Sevilla Paula Hermida Cabrera ha sido la ganadora del Premio SECIB Joven Fin de Grado 2023, por el trabajo “Regeneración ósea espontánea o guiada tras la enucleación de un quiste dentígero en pacientes sin patología sistémica”. 

INSPIRIA DENTAL CELEBRA EL I ENCUENTRO TECH: INTELIGENCIA ARTIFICIAL

Gabriel García, de BTI; Eduardo Murial, de Osstem; Isabel Murciano, de Dental Monitoring; Lucrecia Barindelli, de Megagen; y Emi Rodríguez, de DM Dentista Moderno.

Inspiria Dental organizó el 20 de junio en Madrid Innovation Lab. (MIL) el I Encuentro Tech: Inteligencia Artificial, en el que empresas del sector dental tuvieron la oportunidad de conversar y debatir sobre el papel de la Inteligencia Artificial (IA) y su uso clínico en la industria dental y las clínicas dentales.

El Dr. Rafael Areses, MD DDS OS, y Luis Mallo, presidente de Knotgroup, fueron los dinamizadores de este encuentro, en el que se trataron temas como el análisis de los grandes conjuntos de datos clínicos; el uso clínico de la IA: planificación y tratamientos; el análisis de los indicadores de la clínica para la mejora de la toma de decisión; y la automatización de tareas administrativas. Además, el encuentro contó con la participación de David Fernández, de Medical10; Yolanda Herrero y Raúl Díaz, de Zimvie; Lucía Llanos y María Aguirre, de Align; Luis Garralda, de Intralock; Íñigo Anduíza y Dr.

Durante el I Encuentro Tech: Inteligencia Artificial los participantes destacaron el impacto de la IA en la medicina general y en la odontología en particular, al suponer un verdadero cambio disruptivo en la manera de hacer las cosas que plantea una nuevo paradigma. No obstante, también apuntaron a que la IA lleva presente en el sector salud desde hace tiempo y por supuesto en el sector odontológico, como es en el diseño de sonrisa, escáneres intraorales, diagnóstico de imágenes, etc. Asimismo, coincidieron en el importante papel de la industria dentro del sector como eslabón de revolución en la clínica en materia de IA. En este sentido, destacaron que alrededor del 20% de los procesos se van a automatizar y se ejecutarán tareas de manera automática, ayudando a elevar la producción en la clínica. Los Encuentros Tech de Inspiria Dental son un foro de comunicación y debate sobre las nuevas tecnologías que tienen un impacto y aplicación directa en la odontología. En un ambiente desenfadado, los participantes tienen la oportunidad de presentar su implicación, visión y compromiso sobre estas tecnologías y compartir los diferentes puntos de vista. En próximos encuentros se analizará el potencial transformador de la tecnología 3D en la práctica dental. Los temas a tratar serán el diagnóstico y planificación asistida por tecnología 3D, la cirugía asistida por tecnología 3D y la Realidad Virtual y Aumentada en el entorno clínico. 

53
eldentistamoderno julio-agosto 2023
Luis Mallo, CEO de Knotgroup, y el Dr. Rafael Areses, fueron los dinamizadores del encuentro. FOTO: Inspiria Dental.

EL CONSEJO GENERAL DE DENTISTAS FALLA SUS PREMIOS ANUALES

Unaño más, la Asamblea General de la Organización Colegial de Dentistas de España ha fallado sus premios anuales, que se entregarán en diciembre. Los galardonados son:

El Dr. José Vicente Bagán Sebastián, quien ha sido elegido Premio Santa Apolonia 2022. Se trata de la máxima distinción que concede a título individual el Consejo General de Dentistas de España, por la que reconoce a los dentistas que más han destacado en su trayectoria profesional, por sus trabajos, su dedicación y su contribución al prestigio y desarrollo de la Odontología a lo largo de toda su trayectoria profesional. Bagán, licenciado en Medicina y Cirugía y especialista en Estomatología, es catedrático de Medicina Bucal en la Universidad de Valencia y un referente docente y científico en la Odontología española. Ha sido maestro de miles de profesionales y tiene una acreditada producción científica a nivel nacional e internacional, siendo autor de 13 libros de Estomatología y de 364 artículos científicos. Fue presidente de la Academia Europea de Medicina Oral de 2010 a 2012 y Premio Nacional de la Sociedad Española de Cirugía Bucal en 2013. Actualmente, es jefe del Servicio de Estomatología del Hospital General Universitario de Valencia, cargo que ostenta desde 1993.

El Dr. Guillermo Jesús Pradíes Ramiro recibirá el Premio Dentista del Año 2022. Este galardón reconoce los méritos conseguidos durante el último año en ma-

Y PATOLOGÍA

teria de salud bucodental, incluyendo los estudios y trabajos de investigación realizados, el posible carácter altruista de su actividad profesional, el reconocimiento nacional e internacional que haya podido obtener, así como sus valores humanos y ética profesional. Doctor en Odontología por la Universidad Complutense de Madrid, Pradíes fue el primer español en superar las pruebas para el reconocimiento como Specialist in Prosthodontics por la European Prosthodontics Association (EPA) en 2016. Actualmente es presidente de SEPES y director del Departamento de Odontología Conservadora y Prótesis de la UCM. En sus 30 años de trayectoria profesional ha compaginado su asistencia vocacional al paciente con la enseñanza, la investigación y el servicio a las instituciones colegiales. Es considerado mundialmente como uno de los principales investigadores y promotores de la implantación de la digitalización, la inteligencia artificial aplicada y las nuevas tecnologías en el entorno odontológico.

A la Asociación Española de Pacientes de Cáncer de Cabeza y Cuello (APC) se le ha otorgado el Premio Juan José Suárez Gimeno al Fomento de la Salud Oral 2022.

La periodista Nieves Salinas, responsable de la sección de Sanidad de El Periódico de España, ha obtenido el Premio José Navarro Cáceres de Información Sanitaria Odontoestomatológica 2022. 

ORAL DE LA IADR

El catedrático de Medicina

Bucal de la Universidad de Granada Miguel Ángel González

Moles ha obtenido el premio al Científico Distinguido en Medicina Oral Y Patología Oral en su edición 2023. Se trata del galardón internacional más prestigioso en el ámbito de la investigación odontológica y lo concede la Asociación Internacional para la Investigación Dental (IADR) para reconocer la aportación al conocimiento en la esfera de la Medicina Oral y Patología Oral. La concesión de este premio al profesor e investigador de la UGR supone un reconocimiento a la extensa carrera científica de González Moles, que es además el primer español que lo consigue. 

La IADR (International Association for Dental Research) ha otorgado al Dr. Alberto Monje con el premio a la Innovación en Investigación en Implantología. Mediante una carta enviada al Dr. Monje, esta prestigiosa institución afirma que se lo conceden por sus contribuciones innovadoras y es un reconocimiento a la dedicación y compromiso con la Odontología y la investigación.

La IADR es una de las asociaciones más prestigiosas del mundo, fundada en 1920 por William Gies, que se centra en la investigación en el campo de la Odontología. 

actualidad NOTICIAS 54 eldentistamoderno julio-agosto 2023
LA IADR PREMIA AL DR. ALBERTO MONJE CON EL GALARDÓN A LA INNOVACIÓN EN INVESTIGACIÓN EN IMPLANTOLOGÍA
MIGUEL A. GONZÁLEZ MOLES, PREMIO AL CIENTÍFICO DISTINGUIDO EN MEDICINA ORAL
Dr. Bagán Sebastián. Dr. Pradíes Ramiro.

BTI LIDERA LA PRODUCCIÓN CIENTÍFICA DE LAS BIOEMPRESAS

ESPAÑOLAS POR OCTAVO AÑO CONSECUTIVO

La Asociación Española de Bioempresas (AseBio) ha hecho público el Informe Anual AseBio 2022, que recoge la situación y tendencias del sector de la biotecnología en España. El acto de presentación del Informe ha tenido lugar en el Auditorio de la Casa del Lector en Madrid y ha contado con la presencia de la ministra de Ciencia e Innovación, Diana Morant.

En el apartado referente a la producción de conocimiento científico de las empresas españolas, se destaca a BTI Biotechnology Institute como la empresa española con mayor número de publicaciones en revistas científicas de impacto, 30 en total, seguida por la compañía Almirall, con 25 publicaciones, PharmaMar con 22 y Astrazeneca con 20. El dato recogido en el Informe 2022 continúa mostrando a BTI Biotechnology Institute como una de las empresas españolas con una mayor dedicación e implicación con la I+D, ya que se trata del octavo año consecutivo en el que la biotecnológica con sede en Vitoria se sitúa como la empresa número uno en producción científica de España.

Para el doctor Eduardo Anitua, director científico de BTI y Premio Nacional de Innovación, “desde su fundación en 1999, BTI siempre ha apostado por la I+D como herramienta para generar conocimiento científico y para desarrollar soluciones terapéuticas que permitan mejorar la calidad de vida de las personas y humanizar la biotecnología, haciéndola llegar a todo el mundo. El situarnos un año más en el Informe AseBio a la cabeza de la producción científica de las bioempresas españolas es un reconocimiento a esa labor de investigación y desarrollo que llevamos realizando desde hace más de 25 años”. 

ALREDEDOR DE UN MILLAR DE PROFESIONALES DE 42 PAÍSES ASISTIERON AL SIMPOSIO INTERNACIONAL DE RECONSTRUCCIÓN

El Simposio Internacional de Reconstrucción Oral con el tema «Quo Vadis Implantología dental», que se celebró del 18 al 20 de mayo de 2023 en Roma, contó con la visita de alrededor de un millar de participantes de 42 países. Un total de 55 ponentes internacionales impartieron conferencias bajo el auspicio de la Oral Reconstruction Foundation, dirigida por el Foundation President y Congress Chair, el Dr. Luca Cordaro, MD, DDS, PhD, jefe del Departamento de Periodoncia y Prostodoncia del Policlínico Umberto I, Hospital Odontológico Eastman, Roma.

El Auditorium Parco della Musica, donde se celebró el simposio, es un lugar impresionante que recuerda a la arquitectura romana y está lleno de historia, con sus museos y empinadas escaleras de piedra. No es la típica sede de un evento científico. Sin embargo, encantó a sus participantes y contrastó con los métodos de tratamiento de alta tecnología y los temas de investigación de vanguardia presentados por algunos de los principales expertos del mundo. No es sorprendente que los asistentes premiaran a los organizadores llenando el aforo durante los tres días del evento. Incluso el simposio previo titulado «La tecnología ayuda a la clínica», con ocho conferencias científicas y cinco talleres, atrajo a más de 500 participantes.

ORAL 2023

En un mundo cada vez más impulsado por la tecnología, lo que une a los grandes odontólogos y seguirá siendo una cualidad definitoria de los grandes dentistas en el futuro es la capacidad de establecer conexiones humanas afectuosas. Con este espíritu, el Dr. Luca Cordaro y el anterior presidente, el Prof. Mariano Sanz, dieron una calurosa bienvenida a todos los participantes e hicieron que todos se sintieran como en casa en Roma durante todo el simposio. El evento se completó con una animada oportunidad de establecer contactos, a la que asistieron más de 700 participantes, en Villa Miani, con unas vistas maravillosas sobre los tejados de Roma. El programa principal del viernes y el sábado se dividió en ocho sesiones. Los temas tratados incluyeron diferentes opciones para el aumento de tejido duro y blando, incluida la regeneración ósea guiada con bloques, coronas prefabricadas o el aumento óseo asistido por ordenador. Los ponentes examinaron cuestiones relacionadas con la cicatrización del hueso y del tejido blando alrededor de los implantes y revisaron las opciones en el tratamiento de la recesión gingival. Otro enfoque se centró en el uso de sustitutos de injertos óseos autólogos o alogénicos, xenogénicos o sintéticos, membranas y matrices de tejido blando. Hubo acalorados debates sobre cuándo es el momento adecuado para la colocación de implantes y cuáles son las ventajas de la digitalización. 

55 eldentistamoderno julio-agosto 2023

SANITAS LANZA SU NUEVO PROGRAMA DE FORMACIÓN PROFESIONAL

PARA AUXILIARES DE

ENFERMERÍA

Dentro de su proyecto Sanitas Campus, la compañía pondrá en marcha en septiembre de 2023 dos ciclos formativos, un Grado Medio de Técnico en Cuidados Auxiliares de Enfermería y un Grado Superior de Técnico de Higiene Bucodental, con el objetivo de colaborar en la formación de los futuros profesionales sanitarios de nuestro país. El nuevo centro, que tendrá su sede en la Calle Sánchez Pacheco de Madrid, ya cuenta con la acreditación oficial de la Comunidad de Madrid. Estos ciclos ofrecerán formación teórica y prácticas garantizadas en hospitales, centros de día, centros médicos, residencias y clínicas dentales. Además, los graduados podrán acceder a una bolsa de trabajo, facilitando así su futura inserción laboral. En concreto, para el Grado Medio de Técnico en Cuidados Auxiliares de Enfermería se preparará a los estudiantes para prestar asistencia sanitaria y dar cuidados a pacientes, pero también para tener la capacidad de encargarse del correcto funcionamiento de un centro sanitario. Este título oficial permitirá desarrollar la carrera profesional en clínicas dentales, hospitales, residencias y centros de día, y prestar servicio de asistencia a domicilio, así como en el sector sanitario de distintas administraciones públicas. Por otra parte, en el Grado Superior de Higiene Bucodental se formará a los estudiantes para promover la salud bucodental de las personas mediante el desarrollo de actividades preventivas y técnico-asistenciales como la exploración, la evaluación, la promoción y la realización de técnicas odontológicas en colaboración con el odontólogo o médico estomatólogo. Con este título oficial será posible desarrollar la carrera como técnico especia-

E HIGIENISTAS BUCODENTALES

lista en higiene bucodental, higienista dental y educador sanitario. Para Elena Juárez, Chief People Officer de Sanitas y de Bupa Europe & LatinAmerica, “con Sanitas Campus FP queremos dejar un legado para las próximas generaciones formando a los profesionales del futuro y dotándoles de herramientas para asegurar la mejor calidad asistencial de nuestros pacientes”.

Ambos ciclos formativos son una titulación oficial y homologada perteneciente a la formación reglada no universitaria y que forman parte de la iniciativa Sanitas Campus FP. Este proyecto, que irá ampliando su oferta formativa próximamente, pretende dar soporte a la formación de los profesionales sanitarios en diferentes ámbitos con el objetivo de formar a los profesionales del futuro. 

LA PERIIMPLANTITIS

La Universitat Internacional de Catalunya (UIC Barcelona) y la empresa Mozo-Grau, fabricante y distribuidora de implantes dentales y aditamentos protésicos, han firmado un acuerdo de colaboración para desarrollar un proyecto de investigación con los implantes Ticare.

Centrado en el diagnóstico, la prevención y el tratamiento de las enfermedades periodontales y periimplantarias, el proyecto estará liderado por el Dr. Conrado Aparicio, el Dr. Ramón Pons y el Dr. Alberto Monje, todos ellos investigadores y docentes de la Facultad de Odontología de UIC Barcelona. Asimismo, el tratamiento quirúrgico con los implantes Ticare se realizará en una clínica especializada en implantología y periodoncia de Barcelona.

El implante dental ha demostrado ser un tratamiento de éxito. Sin embargo, cierto volumen de implantes se pierde debido a la peri-

implantitis, incluso después de la osteointegración. Según diversos estudios, la prevalencia de periimplantitis varía entre el 18% y el 47% de los pacientes. En concreto, un estudio realizado en España entre 275 pacientes con datos de 474 implantes con una prevalencia de periimplantitis del 24% en pacientes y el 20% en implantes. Ante la evidencia científica de la importancia de estas enfermedades, el tratamiento de la periimplantitis pretende frenar la pérdida ósea y restablecer y mantener la salud de los tejidos blandos y duros. El objetivo de este acuerdo de colaboración entre UIC Barcelona y Ticare es precisamente contribuir al conocimiento que mejore los resultados en el tratamiento de la periimplantitis y en definitiva redunde en beneficio de la salud periimplantaria de los pacientes. 

actualidad NOTICIAS 56 eldentistamoderno julio-agosto 2023
UIC BARCELONA Y TICARE COLABORAN PARA DESARROLLAR UN ESTUDIO CENTRADO EN EL TRATAMIENTO DE

actualidad

“TECNOLOGÍA AL SERVICIO DE LOS PROFESIONALES”,

LEMA DE EXPODENTAL 2024

Más de un centenar de profesionales de 80 empresas líderes del sector dental se han dado cita en la mañana del 6 de junio en el Recinto Ferial, con motivo de la presentación de la próxima edición de EXPODENTAL 2024, el Salón Internacional de Equipos, Productos y Servicios Dentales. La feria, organizada por IFEMA MADRID en colaboración con la Federación Española de Empresas de Tecnología Sanitaria (Fenin), celebrará su XVII edición del 14 al 16 de marzo (jueves a sábado) bajo el lema “Tecnología al servicio de los profesionales”.

El acto de presentación de EXPODENTAL 2024 ha contado con las intervenciones de la directora de negocio de IFEMA MADRID, Arancha Priede; la secretaria general de Fenin, Margarita Alfonsel; el presidente del Sector Dental de Fenin, Luis Garralda; y la directora de EXPODENTAL, Ana Rodríguez, que han ofrecido un amplio detalle de los contenidos, así como de la estrategia ya en marcha para impulsar la representatividad e internacionalidad de esta feria líder y con una fuerte orientación al negocio, que se perfila, una vez más, como el principal punto de encuentro de todos los profesionales del sector de la odontología. La presentación también ha contado con la participación de Roberto Rosso, fundador y presidente de Key-Stone, que ha realizado un análisis de la situación actual del mercado dental.

Según fuentes de la organización, la previsión de participación para EXPODENTAL 2024 muestra signos muy positivos que apuntan a que se superarán los datos de la edición 2022, cuando la feria reunió 329 expositores directos (238 nacionales y 91 internacionales de 17 países), 542 empresas expositoras y 26.154 visitantes profesionales, procedentes principalmente de Portugal, Italia, Alemania, Francia y Argentina. La adjudicación de espacios para la nueva edición, que ocupará los pabellones 4, 6 y 8 del Recinto Ferial, se realizará los días 26, 27 y 28 de septiembre en las instalaciones de IFEMA MADRID.

Como novedad, Italia será el País Invitado de EXPODENTAL 2024, una iniciativa que, en cada edición, pone el foco en un país o región de interés para las empresas expositoras, con el objetivo de promover la asistencia de sus profesionales, ofreciéndoles una serie de ventajas para facilitar su visita.

El esquema de organización de EXPODENTAL contempla, además, la presentación de un espacio diferenciado para el Sector de Formación, que concentrará la información sobre la mejor oferta académica en grado, postgrado y formación continua de profesionales, a través de la participación de universidades, centros de formación, sociedades científicas, colegios profesionales y empresas. El Área de Formación también contará con una zona específica de actividades donde las empresas participantes podrán desarrollar sus presentaciones y charlas y con su propio Speakers’ Corner.

Por otra parte, y como es habitual, el carácter formativo de EXPODENTAL se completará con la celebración del Día del Estudiante el jueves

14 de marzo, una jornada abierta a los estudiantes de 4º y 5º de Odontología, así como a los futuros higienistas y protésicos dentales. De forma paralela a la exposición comercial, se organizará un programa de presentaciones, a cargo de las empresas expositoras, que tendrá lugar en el Speakers´ Corners de EXPODENTAL, donde se darán a conocer algunas de las tecnologías, soluciones y tratamientos más innovadores desarrollados en los últimos dos años. Durante la edición de 2022 los Speakers´Corners ofrecieron 54 ponencias que congregaron a 1.125 asistentes.

EXPODENTAL también incorpora una fórmula de hibridación que complementa la participación presencial de empresas y profesionales con la plataforma digital LIVEConnect ofreciendo un valor añadido a todos los participantes y una probada herramienta para ampliar las oportunidades de networking entre expositores y visitantes.

La presentación también ha contado con la participación de Roberto Rosso, fundador y presidente de Key-Stone, que ha realizado un análisis de la situación actual del mercado dental. Aportando datos sobre el último informe que han realizado del sector dental español, que se publicará próximamente.

El valor del mercado dental en España en el año 2022 se estima que superó una facturación de 930 millones de euros. Si consideramos también el negocio de los alineadores ha rozado los 1.100 millones de euros, lo que supone un crecimiento de un 2,4% con respecto a 2021, consolidándose respecto a un 2020 que había crecido notablemente. Con una amplia experiencia en distribución para el sector de la salud, NACEX -patrocinador de EXPODENTAL 2024- dispone de las máximas certificaciones en calidad, seguridad y sostenibilidad, además de ser la primera empresa del sector en certificar el cumplimiento de las Buenas Prácticas de Distribución de Medicamentos (GDP). 

57 eldentistamoderno julio-agosto 2023
EVENTOS Y CONGRESOS
En la imagen, la secretaria general de Fenin, Margarita Alfonsel; la directora de negocio de IFEMA MADRID, Arancha Priede; el presidente del Sector Dental de Fenin, Luis Garralda; y la directora de EXPODENTAL, Ana Rodríguez. FOTO: IFEMA MADRID

MÁS DE 4.500 PROFESIONALES SE REÚNEN

EN SEVILLA EN EL CONGRESO DE LA PERIODONCIA Y LA SALUD BUCAL

El Congreso de la Periodoncia y la Salud Bucal, organizado por la Fundación SEPA de Periodoncia y la Federación IberoPanamericana de Periodoncia (FIPP), congregó en Sevilla a más de 4.000 profesionales, en un evento de marcado carácter internacional, que cuenta con la presencia de líderes mundiales y que tiene como principal foco de atención dos de las afecciones más comunes en el ser humano: las enfermedades de las encías (con la periodontitis al frente) y las enfermedades que afectan a los implantes dentales (donde destaca la periimplantitis.

FOTO: DM

Dentistas especializados, dentistas generalistas, estudiantes de posgrado y de grado, higienistas, auxiliares de clínica, gestores, personal administrativo, investigadores, educadores y representantes del sector dental, así como personal de farmacias y otros profesionales de la salud, se dan cita en este encuentro único e innovador, con un programa científico oficial y otras actividades paralelas diseñados para la interacción e intercambio de conocimiento, con el fin de seguir impulsando el avance de la Periodoncia y la Odontología, así como el compromiso con la promoción de la salud bucal y general. Como avanza el Dr. Alberto Monje, vocal de SEPA, “este encuentro internacional va a ser al más importante del año en habla hispana: por número de asistentes, por la variedad temática y por el prestigio de los ponentes”.

En la misma línea, el Dr. Gustavo Ávila, coordinador científico del Congreso, reconoce que “la colaboración de Sepa y FIPP hacen que ésta sea una cita muy importante, única y diferencial. Este puede erigirse, por muchos motivos, en uno de los congresos científicos más relevante a nivel mundial que se celebren este año en el campo de la Periodoncia y la Implantología dental”. Según añade, “esta reunión cada vez se hace más internacional, es totalmente bilingüe y se retransmite en streaming”.

Un rasgo característico de este Congreso es la alta participación de profesionales de Iberoamérica, gracias a la colaboración con la FIPP. Como destaca el actual presidente de esta Federación, el andaluz Adrián Guerrero, “de los más de 4.000 participantes en el Congreso, aproximadamente un 10% proceden de países iberopanamericanos, además de España y Portugal, acudiendo tanto de forma presencial como virtualmente”. Destaca la importante representación de Méjico, Argentina, Chile, Venezuela, Colombia y Perú, que aglutinan un 80% de los asistentes internacionales.

Y es que, tal y como resalta el Dr. Guerrero, “esta una oportunidad extraordinaria para fortalecer la formación continuada de estos profesionales en Periodoncia e Implantes dentales, accediendo al conocimiento más avanzado y a técnicas quirúrgicas moderna y, en algunos casos, de sencilla aplicación clínica”. Según recalca, “la ciencia carece de fronteras y hemos de seguir acercando la evidencia científica a la práctica diaria”.

De todo, para todos

El Congreso Sepa23+FIPP ofrece un programa científico amplio, variado y repleto de novedades, incluyendo cirugías en directo, con el objetivo de dar a conocer innovaciones y mejoras en la atención del paciente odontológico. Se cuenta para ello con más de 150 ponentes de primer nivel nacional e internacional, así como con la participación en ExpoPerio de más de 70 empresas expositoras.

Y es que esta reunión es mucho más que un congreso. Como destaca el presidente de la Sociedad Española de Periodoncia y Osteointgración (SEPA), el Dr. José Nart, “esta reunión integra 5 congresos o itinerarios formativos monográficos, sobre Periodoncia, Interdisciplinar, Odontología Digital, Prevención e Higiene y Gestión de la consulta dental”; y es que, según subraya, “un rasgo sobresaliente y diferencial de este evento es su eminente carácter multidisciplinar”.

Entre los temas a abordar durante estos días, se actualizaron conocimientos sobre el manejo de los tejidos blandos alrededor de dientes e implantes, las implicaciones y el manejo de las enfermedades periodontales más relevantes, se presentaron avances en el conocimiento de la fisiopatología de las enfermedades periimplantarias, se mostraron los nuevos tratamientos mínimamente invasivos, se evaluaron los retos y avances en la Odontología de Precisión, se mostraron las ventajas y limitaciones de la Odontología Digital, y se discutieron las múltiples posibilidades que se derivan de la colaboración e integración de distintas disciplinas odontológicas para optimizar los resultados clínicos y el bienestar del paciente.

Como resalta el coordinador científico del Congreso, “se incluyen temas emergentes para la práctica odontológica actual, apostándose por la interdisciplinariedad desde la mejora de todo el equipo odontológico y la promoción de la salud bucal, además de la salud periodontal y periimplantaria”. El objetivo, afirma el Dr. Gustavo Ávila, “es que todos los profesionales vinculados a la promoción de la salud bucal encuentren su espacio para actualizar y compartir sus conocimientos”. 

actualidad NOTICIAS 58 eldentistamoderno julio-agosto 2023
De izq. a dcha.: el Dr. Gustavo Ávila, coordinador científico del Congreso; el Dr. José Nart, presidente de SEPA; el Dr. Alberto Monje, vocal de SEPA; y la Dra. Paula Matesanz, vicepresidenta de SEPA.

SEPES PRESENTA A LA INDUSTRIA SU 53º CONGRESO ANUAL

QUE SE CELEBRARÁ EN SEVILLA EN 2024

bajo la presidencia del Dr. Rafael Martínez de Fuentes, vicepresidente de SEPES y Profesor de Prótesis Estomatológica de la Universidad de Sevilla.

En esta reunión de presentación previa del congreso se dieron cita más de medio centenar de asistentes representando a las más de 55 empresas punteras en el sector dental internacional que se espera estén presentes en la exposición comercial de más de 3.000 metros cuadrados que SEPES habilitará en el congreso de 2024.

SEPES llevará de nuevo a Sevilla el año que viene su cita científica más importante después de que en 2015 el propio Prof. Rafael Martínez de Fuentes presidiera también en FIBES el congreso de SEPES de ese año. En aquella ocasión se dieron cita 3.000 congresistas siendo el congreso odontológico mas multitudinario antes celebrado en España.

Bajo el lema del congreso “Protocolos para la práctica clínica” como eje vertebrador, 80 ponentes de más de 30 nacionalidades participarán en las conferencias, talleres, debates, demostraciones clínicas, lunch simposios, etc. que tendrán lugar a lo largo de los tres días que durará el congreso.

La Sociedad Española de Prótesis Estomatológica y Estética (SEPES) presentó el 14 de junio en NUEVO FIBES para la industria del sector odontológico la 53ª edición de su congreso clínico-científico anual que tendrá lugar en esa misma sede del 10 al 12 de octubre de 2024

Temas de gran actualidad como la neurociencia, la coordinación de los tratamientos interdisciplinares, las tendencias en estética facial, la digitalización aplicada al diagnóstico y planificación de los tratamientos, la gestión de la clínica dental, la importancia del trabajo de las higienistas dentales y los últimos avances de la industria dental en tecnología, materiales, instrumental y servicios son algunos de los temas que se abordarán en el congreso. 

EL PACIENTE ADULTO, PROTAGONISTA DE SEGER LEÓN 2023

Alrededor de 300 profesionales del sector participaron en el XXI Congreso Nacional y X Internacional de la Sociedad Española de Gerodontología (SEGER), celebrado en el Auditorio de León entre los días 4 y 6 de mayo.

El encuentro contó con un programa dirigido al odontólogo joven, quien será el actor de los tratamientos a nuestros mayores en los próximos años. Entre los temas abordados en las distintas mesas de trabajo, en la jornada del viernes se desarrollaron tres mesas de trabajo donde se abordaron temas como: Ortodoncia, sobretratamiento o indicación, atrofia maxilar severa, enfoque terapéutico y rehabilitación prostodóntica en el paciente adulto mayor, analógica o digital, entre otros. La cuarta mesa de la sesión, titulada «Maratón de decisiones clínicas», estuvo centrada en temas específicos del paciente adulto mayor de una manera muy directa; además de contar con ponentes jóvenes de trayectoria universitaria.

El Congreso también sirvió para analizar casos reales de pacientes como, por ejemplo, las posibilidades terapéuticas actuales de pacientes con atrofias severas que dificultan su tratamiento convencional. El presidente del Congreso, el Dr. Mariano del Canto, recordó a los asistentes que cada día es más importante adaptar los contenidos curriculares de las universidades y convertir la Gerodontología en una entidad específica en los mismos. El objetivo, dar respuesta a las peculiaridades de una población “que cada día vive más años, en mejores condiciones y con mayores exigencias estéticas y funcionales para seguir con su vida social  y, a veces, también una segunda vida laboral”, señaló el Dr. Del Canto. Además, añadió que “son nuestros odontólogos jóvenes y en formación los que enfrentarán en mayor medida esta transformación social. De ahí que hayamos querido generar inquietudes en ellos en este Congreso”. Por otro lado, el Dr. Del Canto quiso recordar además que muchos de los mayores “están polimedicados y presentan patologías médicas de toda índole, lo que condiciona el quehacer del odontólogo”. 

59
dentistamoderno
2023
el
julio-agosto
En la imagen, el Dr. Rafael Martínez de Fuentes, vicepresidente de SEPES, presidente el Congreso SEPES Sevilla 2024 y Profesor de Prótesis Estomatológica de la Universidad de Sevilla. FOTO: SEPES

MÁS DE UN MILLAR DE ORTODONCISTAS SE DAN CITA EN BILBAO EN EL 69 CONGRESO DE LA SEDO

Más de un millar de profesionales de la Odontología se han dado cita en el Palacio Euskalduna de Bilbao para asistir al 69 Congreso de la Sociedad Española de Ortodoncia y Ortopedia Dentofacial (SEdO).

“Estoy más que encantado con la acogida que ha tenido el Congreso, ha sido impresionante”, ha reconocido el doctor Íñigo Gómez Bollain, presidente de SEdO Bilbao 2023. Y ha agregado que “es una alegría ver a tantísima gente joven”.

“Bilbao siempre se ha caracterizado por ser una ciudad acogedora, que recibe con los brazos abiertos a gente de todas partes, y creo que eso se ha notado, ya que todo el mundo, desde el congresista más joven al más veterano, se ha sentido bienvenido”, ha querido destacar el presidente del Congreso. Y ha celebrado que “todo ha salido estupendamente, tanto las ponencias, presentaciones de casos y talleres, como las salidas y demás actividades sociales”. Por último, el Dr. Gómez Bollain ha aseverado que se siente “sumamente orgulloso de haber podido traer un evento tan importante a casa” y ha deseado que “todos los asistentes hayan disfrutado tanto con el desarrollo de SEdO Bilbao 2023 como nosotros organizándolo”.

Unas palabras con las que se ha mostrado de acuerdo el presidente de la SEdO, el doctor Juan Carlos Pérez Varela, quien además ha resaltado que “el programa de Bilbao ha sido uno de los más completos y potentes que hemos tenido hasta ahora”. “El Dr. Gómez Bollain y sus compañeros han conseguido reunir a los mejores ortodoncistas de dentro y fuera de España”, ha agregado, indicando también que “cada vez son más los ponentes internacionales que quieren venir a los congresos de la SEdO que, además, no dejan de sumar asistentes”. 

LA XLIV REUNIÓN ANUAL DE LA SEOP REÚNE A 500 ODONTOPEDIATRAS EN CASTELLÓN

Durante las tres jornadas, 31 ponentes destacados por su prestigio profesional a nivel nacional e internacional en las distintas áreas de dedicación ligadas al ámbito de la Odontopediatría, entre los que se incluyen figuras como las de las doctoras Margherita Fontana (desde EEUU) y Jenny Abanto (de Brasil), compartieron los avances de nuevas técnicas preventivas, terapéuticas y diagnósticas que hacen posible intervenir de manera precoz y efectiva para minimizar las secuelas de las enfermedades orales en el crecimiento y desarrollo del niño.

Entre

los días 11 y 13 de mayo Castellón reunió a 500 odontopediatras llegados desde diferentes ciudades españolas, en la XLIV Reunión Anual de la Sociedad Española de Odontopediatría (SEOP) que se celebró en el Auditorio y Palacio de Congresos de la capital de La Plana. “Se trata del primer Congreso Nacional del área de la Odontología que se ha celebrado en la ciudad de Castellón, lo que es un orgullo y una gran oportunidad para realizar esa necesaria puesta en común de la patología del paciente infantil desde los distintos puntos de vista de la odontología pediátrica”, destaca Marta Ribelles, presidenta del Congreso.

El Comité Organizador, tras seis años de intenso trabajo, diseñó un programa científico “variado, de alto nivel y carácter multidisciplinar”, en el que destacaron tres áreas de actuación: cariología, ortodoncia interceptiva y tratamiento pulpar. Además, se organizaron actividades paralelas en determinados momentos de la Reunión Anual, como cuatro talleres teórico-prácticos.

La participación activa de los congresistas en más de 100 comunicaciones libres y pósters “continuó siendo una parte importante del Congreso”, señalan desde el Comité Organizador. El sábado 13 de mayo se celebró un curso para más de 50 higienistas sobre protocolos de actuación en atención temprana en Odontopediatría. 

actualidad NOTICIAS 60 eldentistamoderno julio-agosto 2023

MÁS DE 350 PROFESIONALES ASISTEN AL CONGRESO DE LA SEMO 2023

Durante los tres días de su celebración, han tenido lugar talleres clínicos, sesiones clínico – patológicas y conferencias magistrales a cargo de prestigiosos ponentes como Elena Varoni, Ángel Carracedo, Miguel Ángel Rodríguez Moles, Guillermo Concha, José Vicente Bagán, Abel García García o Enric Jané Salas.

Igualmente en la plaza del Obradoiro el primer día del Congreso, se ha desarrollado un proyecto de innovación educativa en colaboración con la Asociación Española contra el Cáncer y la unidad docente de Medicina Oral de la Universidad de Santiago, cuyo objetivo ha sido la concienciación ciudadana hacia la autoexploración y el control de los factores de riesgo del cáncer oral.

Más de 350 profesionales nacionales e Iberoamericanos han asistido en Santiago de Compostela al Congreso de la Sociedad Española de Medicina Oral (SEMO) que se ha celebrado de manera conjunta con la XVIII Reunión de la Academia Iberoamericana de Patología y Medicina Bucal y cuyo comité organizador ha estado presidido por el Profesor Andrés Blanco Carrión.

La ceremonia inaugural desarrollada en el auditorio de la Facultad de Medicina y Odontología de Santiago de Compostela, ha contado con la presencia del Conselleiro de Sanidad D. Julio García Comesaña, el rector de la Universidad Antonio López, el alcalde de Santiago José Sánchez Bugallo, los presidentes de ambas sociedades científicas una representación de los Colegios profesionales de Galicia y el presidente del Congreso Dr. Blanco Carrión, quién describió en su discurso de bienvenida a este Congreso como una confluencia de caminos, que al igual que el de Compostela, ha conseguido convocar a numerosos profesionales procedentes de varios países iberoamericanos y a una nutrida representación de los profesionales de la medicina oral del ámbito clínico y universitario. 

SEDCYDO GIJÓN 2023 REÚNE A MÁS DE 120 PROFESIONALES

ElXXXIII Congreso de la Sociedad Española de Disfunción Craneomandibular y Dolor Orofacial (SEDCYDO), que ha tenido lugar los días 19 y 20 de mayo en Gijón (Asturias), ha contado con más de 120 inscritos. La reunión destacó por su marcado carácter transversal, en la que se dieron cita odontólogos, cirujanos maxilofaciales, fisioterapeutas, logopedas…

Durante la mañana del viernes 19 los inscritos a los dos talleres de 4 horas de duración tuvieron oportunidad de aprender de forma teórico-práctica sobre las aplicaciones del PRGF (Plasma Rico en Factores de Crecimiento) en Disfunción Craneomandibular, los nuevos dispositivos que ayudan diariamente en el manejo de Trastornos Temporomandibulares y Dolor Orofacial (Teethan, T-Scan, Modjaw, JVN…), el Método Crafta (Cráneo Facial Therapy Academy) con un taller terórico-práctico para abordaje en los trastornos temporomandibulares y dolor orofacial, entre otros. Para el resto de profesionales, la tarde del viernes estuvo marcada por la Odontología Restauradora en pacientes bruxistas. Para finalizar la tarde del viernes, y antes de la Cena del Congreso, tuvo lugar el acto inaugural con la presencia del presidente de la Sociedad, Juan Manuel Prieto Setién; la presidenta del Congreso, Elena González Canal; el vicepresidente del Colegio de Dentistas de Asturias, Pelayo Braña; y la

alcaldesa de Gijón, Ana González, con bonitas palabras hacia la especialización que realizan los miembros de Sociedades como SEDCYDO. El sábado comenzó con el bloque de Dolor Orofacial, moderado por el Dr. Juan Manuel Prieto Setién y en el que se habló sobre la farmacología utilizada en las algias faciales, punción seca en el tratamiento del dolor orofacial, el abordaje del bruxismo desde la medicina integrativa, la modulación neurovegetativa del nervio vago en el tratamiento del dolor craneofacial y diagnóstico y tratamiento de la Neuralgia del Trigémino. El último bloque fue el de Medicina Dental del Sueño, moderado por el Dr. Vicente Wienland. 

61 eldentistamoderno julio-agosto 2023

Henry Schein España lanza las tiras blanqueadoras disolubles profesionales de White Dental Beauty

Henry Schein España ha anunciado la ampliación de la cartera de productos White Dental Beauty con el lanzamiento de las tiras blanqueadoras disolubles profesionales P3 de White Dental Beauty.

Las tiras serán una adición óptima al tratamiento de blanqueamiento profesional de White Dental Beauty en la práctica dental, ofreciendo a los pacientes más opciones para mantener una sonrisa más brillante. Siguiendo las regulaciones, las tiras solo están disponibles para los pacientes de los dentistas ya que contienen 6% de peróxido de hidrógeno; combinan dos fosfatos y peróxido de hidrógeno, lo que representa la adición de «P3» al nombre del producto. Blanquea los dientes desde dentro y elimina las manchas superficiales. El producto se vende en cajas con 28 tiras.

Con una aplicación de 15 minutos (el tiempo promedio de solubilidad depende del contacto con la humedad), las tiras son rápidas y fáciles de usar y refrescan el aliento.

“Estamos comprometidos a ofrecer a nuestros clientes soluciones nuevas e innovadoras que ayuden a mejorar el resultado del tratamiento y brindar una atención al paciente de alta calidad”, apunta Jesús Sales, Marketing Director de Henry Schein en España, añadiendo que “con las tiras White Dental Beauty, podemos ofrecer a los dentistas un nuevo producto para la cartera de White Dental Beauty que ampliará las opciones de los clientes para brindarles a los pacientes resultados cosméticos de alta calidad para una sonrisa confiada”.

White Dental Beauty es una gama profesional de geles blanqueadores dentales de alta calidad para dentistas. Fabricados por Optident, con sede en el Reino Unido, los geles White Dental Beauty están disponibles

en cuatro concentraciones para adaptarse a diferentes necesidades de los pacientes y cumplir con las reglamentaciones de productos cosméticos aplicables de la UE y el Reino Unido

(6 % HP, 10 % CP, 16 % CP y 5 % CP «Suave»)*.

White Dental Beauty brinda a los odontólogos versatilidad y libertad para blanquear los dientes de los pacientes y ofrece a los pacientes una experiencia de blanqueamiento dental conveniente y consistente en una aplicación a partir de los 30 minutos, según la concentración. Con una fórmula patentada de NOVON®, White Dental Beauty permite un efecto de blanqueamiento rápido y óptimo**. Además, la formulación «Suave» brinda a los pacientes con dientes sensibles una experiencia de blanqueamiento profesional. White Dental Beauty logra resultados clínicos y estéticos óptimos, minimiza la sensibilidad dental y ayuda a mantener los dientes hidratados mientras proporciona resultados de blanqueamiento visibles en menos de una semana.

*HP= peróxido de hidrógeno; CP = peróxido de carbamida

** Los geles que contienen NOVON® pueden producir un efecto blanqueador similar en un periodo de tiempo más corto, en comparación con el blanqueamiento con un gel normal. Alternativamente, dentro del mismo periodo de tiempo, se puede lograr un nivel similar de blanqueamiento con un nivel de inclusión más bajo de NOVON® (Hyland et al., 2014).

IOS Solutions amplía su portfolio y ecosistema con nuevos flujos de trabajo digitales para odontólogos

DEXIS

DEXIS IOS Solutions anuncia la expansión de su portfolio y ecosistema a través de nuevos flujos de trabajo digitales. Para reforzar este objetivo,

DEXIS IOS Solutions se centra en tres principios cruciales: facilidad de uso, productividad y expansión de la práctica.

Los profesionales ahora pueden ampliar fácilmente su gama de servicios a través de tratamientos de alineadores y dentaduras postizas, así como la impresión interna, ofreciendo a sus pacientes una atención personalizada e innovadora.

DEXIS IOS Solutions presenta el escáner con cable IS 3800, que ofrece el mismo rendimiento de alta velocidad que el galardonado IS 3800W. El escáner con cable IS 3800 es altamente ergonómico y pesa solo 190 g sin el cable, lo que lo convierte en uno de los escáneres intraorales más ligeros disponibles. Complementa el escáner inalámbrico IS 3800W, que pesa solo 240 g.

DEXIS www.dexis.com

MATERIALES, INSTRUMENTAL Y EQUIPO 62 eldentistamoderno julio-agosto 2023
novedades

Zirkonzahn ofrece un paquete completo para ampliar el flujo de trabajo digital con el nuevo sistema P4000 para impresión 3D

Con el nuevo sistema P4000 para la impresión 3D, Zirkonzahn ofrece a los dentistas y protésicos dentales un paquete preconfigurado, concebido específicamente para el flujo de trabajo dental y para utilizarlo en la producción de modelos dentales de resina. El sistema, que incluye la Impresora P4000, el software Zirkonzahn.Slicer y la Lámpara de polimerización L300, ha sido desarrollado para su uso con las resinas Printer Resin y Printer Resin Waterbased de Zirkonzahn en varios colores y para diferentes usos. La Impresora P4000 ocupa poco espacio y dispone de una pantalla LCD, monocromática 4K de alta resolución. Gracias al gran volumen de impresión (L x P x A: 20 x 12,5 x 20 cm), se pueden producir simultáneamente, por ejemplo, hasta 21 modelos Geller ó 15 modelos de arcadas, dependiendo de la estructura y el tamaño. La impresora está diseñada para procesar resinas con una longitud de onda de 405 nm. Los datos del paciente adquiridos a partir de impresiones o escaneos intraorales, pueden cargarse en el módulo de software Model Maker de forma rápida y sencilla. Los modelos creados se transfieren al nuevo software Zirkonzahn.Slicer para su posicionamiento en la plataforma de impresión y la eventual creación de soportes. Enseguida, los archivos para la impresión en 3D, pueden enviarse a través de una memoria USB, LAN o WiFi a la Impresora P4000. Después de la limpieza con agua en un baño de ultrasonidos y polimerización del modelo, los movimientos mandibulares

del paciente pueden controlarse en el articulador PS1 o en el Mini-Arti ZS1, utilizando el nuevo sistema JawAligner PS1 o ZS1 (espaciadores magnéticos) sin utilizar yeso.

Zirkonzahn www.zirkonzahn.es

Right Retainer, los nuevos retenedores removibles e invisibles de Corus

retención se ha convertido en una fase más de estos tratamientos. Los retenedores removibles Right Retainer son la solución de Corus para mantener los dientes en su nueva posición después de un tratamiento de ortodoncia.

Las principales características y beneficios de Right Retainer incluyen: comodidad, ya que los retenedores están diseñados para ser ultra cómodos y adaptarse perfectamente a la boca y los dientes de cada paciente, permitiéndoles llevarlos durante períodos prolongados de tiempo sin molestias; estética, pues los Right Retainer son totalmente transparentes y, por tanto, son apenas visibles, lo que mejora la estética y la confianza de los pacientes al llevarlos; y ahorro de tiempo, puesto que una prescripción de Right Retainer contiene 3 retenedores por arcada. Esta presentación ahorrará tiempos de sillón posterior, ya que el paciente no deberá volver a la consulta cuando se le desgasta, rompe o pierde un primer o segundo retenedor.

La última innovación de Corus son los retenedores removibles e invisibles Right Retainer.

Solo entre el 30% y el 50% de los pacientes sometidos a un tratamiento de ortodoncia conservan la nueva alineación final de sus dientes un tiempo después de cesar el uso de los alineadores. Por este motivo, la

En palabras de Nicolas Bonnard, CEO de Corus, “estamos comprometidos con la mejora continua y la aplicación de tecnología de vanguardia para brindar a nuestros clientes soluciones de la más alta calidad y a sus pacientes la mejor experiencia clínica posible. En este sentido, Right Retainer aúna todos los requisitos para cumplir con los más altos estándares tanto de Corus como de los clínicos y sus pacientes en materia de retención”.

63 eldentistamoderno julio-agosto 2023
Corus www.corusdental.com

Septodont lanza como novedad Biodentine XP

Biodentine es el primer sustituto de la dentina, tanto de la corona como de la raíz, biocompatible y bioactivo. Gracias a sus características únicas y sus destacadas propiedades mecánicas y de sellado, Biodentine puede utilizarse como material de BioBulk Fill, obturando la cavidad desde la pulpa hasta la parte superior de la misma, con una restauración definitiva del esmalte realizada antes de que hayan pasado los 6 meses: el procedimiento se convierte en fácil y rápido, ya que se utiliza un único material de relleno en bloque.

Respondiendo a las demandas de los usuarios, Septodont presenta ahora la nueva versión de Biodentine, Biodentine XP, un nuevo sistema de restauración de la dentina con cartuchos todo en uno, que permite la colocación directa en el diente y facilita los procedimientos habituales. Biodentine XP incluye toda la ciencia de Biodentine, integrándola en un sistema nuevo y mejorado, diseñado para proporcionar una experiencia diaria óptima, desde la preparación del producto hasta la colocación directa en el diente.

Biodentine XP asegura una mezcla fácil y perfecta gracias a su vibradora de alta velocidad y una fácil dispensación con la pistola aplicadora. Los cartuchos todo en uno están disponibles en 2 formatos (XP200 y XP500) para adecuarse al procedimiento, a la profundidad de la cavidad y a la cantidad necesaria de material. “La facilidad de uso y las múltiples indicaciones de Biodentine XP, tanto en la corona como en la raíz, te ayudarán a tratar a tus pacientes cada día”, apuntan desde Septodont. Más información en www.biodentinexp.es.

Septodont www.septodont.es

PHB presenta sus nuevos cepillos de edición limitada ‘Imprescindibles’

PHB, laboratorio de higiene bucodental, presenta la nueva gama de cepillos edición limitada ‘Imprescindibles’. Estos cepillos han sido diseñados con cabezales redondeados y de pequeño tamaño para llegar a toda la cavidad bucal. Además, cuentan con filamentos de Tynex® que proporcionan un cuidado extremo de dientes y encías.

Su mango de superficie lisa y flexible evita la acumulación de gérmenes, controlando la presión excesiva en el cepillado, y el capuchón protector aísla los filamentos a la vez que los protege de contaminaciones externas, manteniendo las condiciones óptimas de higiene y prolongando su durabilidad. “PHB tiene el objetivo de cuidar las sonrisas de todos haciendo más atractiva la rutina de higiene bucal con productos de calidad y adaptados al consumidor”, afirma Pilar Abril, Directora de Marketing España responsable de la marca PHB. Los cepillos de esta edición limitada han sido creados a partir de un modelo vintage y con combinaciones de colores únicos que evocan las emociones serigrafiadas en sus mangos: amor, alegría, energía y confianza. Cada emoción evoca una razón por la cual cuidar de nuestra salud bucal es imprescindible, tal y como aseguran desde PHB. Empezando por el cepillo PHB Amor que representa el sentirse bien cuidándose uno mismo, en este caso de nuestros dientes y encías. PHB Energía simboliza el irradiar vitalidad en el momento del cuidado bucal. PHB Confianza es la garantía de boca sana y cuidada gracias a la calidad PHB. Y para mostrar la mejor versión de tu sonrisa existe PHB Alegría, con la que potenciar su cuidado.

MATERIALES, INSTRUMENTAL Y EQUIPO 64 eldentistamoderno julio-agosto 2023
novedades
PHB www.phb.es
22 Y 23 2023 Congreso Santiago de Compostela | España
Dr.
Dr.
Dr.
Dr.
Dra.
Dr Federico Hernández Dr. David Castellanos Dra. María Constanza Dr. Paul Medina Dr. Eduardo Espinar Dr. Nacho Morales Dra. Sonia Presencia Dr. Luis Carlos Ojeda Dr.
Colino Dra. Eva Mayo
Dr. Manuel Román
Arturo Vela
Diego Peydro
Juan Carlos Pérez
Mariano Follana Dra. Romina Vignolo
Ana de la Torre
Peri
Dr.
Dra. Gemma López Dr. André El Zoghbi
Dr.
Manuel Poveda Toni Ortoneda
Dr.
Dr.
¡NO te lo pienses más! APROVECHA LA TARIFA R EDUC I DA H ASTA E L 31 DE AGOSTO 202 3 desde 300€ SEDOSANTIAGO.COM 22 Y 23 2023 Congreso Santiago de Compostela | España
Dra. Esmeralda Herrero Dr. Iván Malagón Dr. Ángel Navarro Simon Graf Matthias Peper Dr. Manuel Román Dr. Arturo Vela
Dr.
Diego Peydro Dr. Juan Carlos Pérez
Dr.
Mariano Follana
Dr Federico Hernández Dr. David
Dra.
Dr.
Dr. Eduardo Espinar Dr. Nacho Morales Dra. Sonia Presencia Dr. Luis Carlos Ojeda Dr.
Dra. Eva Mayo
Dr.
Dr.
Dr
Dr.
Dr.
Dr.
Dr.
¡NO te lo pienses más! APROVECHA LA TARIFA R EDUC I DA H ASTA E L 31 DE AGOSTO 202 3 desde 300€
Dra. Romina Vignolo 22 Y 23 2023
Dra. Ana de la Torre Castellanos
María Constanza
Paul Medina
Peri Colino
Dra. Gemma López
André El Zoghbi
Manuel Poveda
Toni Ortoneda Dra. Esmeralda Herrero
Iván Malagón
Ángel Navarro
Simon Graf
Matthias Peper
SEDOSANTIAGO.COM
Congreso Santiago de Compostela | España
Dr. Manuel Román Dr. Arturo Vela Dr. Diego Peydro
Dr.
Juan Carlos Pérez
Dr.
Mariano Follana
Dra. Romina Vignolo Dr Federico Hernández Dr. David
Dra.
Dr. Paul Medina Dr. Eduardo Espinar Dr. Nacho Morales Dra. Sonia Presencia Dr. Luis Carlos Ojeda Dr.
Dra. Eva
Dra. Ana de la Torre
Castellanos
María Constanza
Peri Colino
Mayo
Dra. Gemma López Dr. André El Zoghbi
Dr.
Dr. Manuel Poveda
Toni Ortoneda Dr.
Dr.
¡NO te lo pienses más! APROVECHA LA TARIFA R EDUC I DA H ASTA E L 31 DE AGOSTO 202 3 desde 300€
Dra. Esmeralda Herrero Dr. Iván Malagón
Ángel Navarro Simon Graf Dr.
Matthias Peper
SEDOSANTIAGO.COM

Ofertas Especiales

DESDE EL 1 DE JULIO HASTA EL 31 DE JULIO DE 2023

Surgic Pro

OPCIÓN 1

Surgic Pro

REF. Y1003587

Incluye:

• Unidad de control

• Micromotor SG70M

• 3 contra-ángulos sin luz SG20 (Reducción 20:1)

• Pedal de control

• Tubo de irrigación (pack de 5) y otros accesorios

OPCIÓN

2

Surgic Pro

REF. Y1003587

Incluye:

• Unidad de control

• Micromotor SG70M

• Contra-ángulo sin luz SG20 (Reducción 20:1)

• Contra-ángulo sin luz X-SG93 (Multiplicador 1:3)

• Pieza de mano sin luz X-SG65 (Velocidad directa 1:1)

• Pedal de control

• Tubo de irrigación (pack de 5) y otros accesorios

OPCIÓN 1

Surgic Pro

REF. Y1003586

Incluye:

• Unidad de control

• Micromotor SGL70M

• 3 contra-ángulos con luz X-SG20L (Reducción 20:1)

• Pedal de control

• Tubo de irrigación (pack de 5) y otros accesorios

OPCIÓN 2

Surgic Pro

REF. Y1003586

Incluye:

• Unidad de control

• Micromotor SGL70M

• Contra-ángulo con luz X-SG20L (Reducción 20:1)

• Contra-ángulo con luz X-SG93L (Multiplicador 1:3)

• Pieza de mano con luz X-SG65L (Velocidad directa 1:1)

• Pedal de control

• Tubo de irrigación (pack de 5) y otros accesorios

2.999€*

6.895€*

2.999€*

6.736€*

3.999€*

9.344€*

3.999€*

9.076€*

*
el 31 de
de 2023
de existencias.
Los precios no incluyen iva. Ofertas limitadas hasta
Julio
o hasta fin
NSK Dental Spain NSK Dental Spain NSK Dental Spain NSK Dental Spain S.A. www.nsk-spain.es Módena, 43 · El Soho-Európolis · 28232 Las Rozas de Madrid · tel: +34 91 626 61 28 · fax: +34 91 626 61 32 · e-mail: info@nsk-spain.es
MICROMOTOR PARA IMPLANTOLOGÍA
¡SÍGUENOS!

Turn static files into dynamic content formats.

Create a flipbook
Issuu converts static files into: digital portfolios, online yearbooks, online catalogs, digital photo albums and more. Sign up and create your flipbook.