El Dentista Moderno - nº 75/76

Page 1

@dentistamoderno @eldentistamoderno

@eldentistamoderno @eldentistamoderno

www.eldentistamoderno.com

ENTREVISTAS

• Dr. Benito Ramos, presidente del 26 Congreso Nacional de SECOMCyC

• Dr. Ignacio Sanz Martín, especialista en Periodoncia e Implantes dentales y director de “Perio Clínica”

JÓVENES TALENTOS

Dr. Alberto Monje, especialista en Periodoncia e Implantología

IMPLANTOLOGÍA Y REHABILITACIÓN ORAL CIRUGÍA DE IMPLANTES

SEPA-DM

ODONTOFOBIA

D4.0 ENTREVISTA

Dra. Clara Esteban, directora médica de DONTE GROUP, y Dra. Esther Charro, directora médica de MAEX

ORAL MEDICINE INSIDE by HEALTH AND TECHNOLOGY SOLUTIONS by

Siguiendo la evolución de la Odontología para el profesional del sector llamado a construir el futuro

N úmero 75/76 • Mayo/Junio 2023

SOLUCIONES ÚNICAS E INNOVADORAS en regeneración

SaluMYCIN™

Aloinjerto esponjoso particulado con Vancomicina

Dental Putty Morsels

Novabone Aloplástico bioactivo osteoestimulativo

Cytoplast RPM Malla perforada de PTFEd con refuerzo de titanio

Cortiflex Thin/Perio Lámina cortical desmineralizada

OraGRAFT Prime

Matriz ósea cortical desmineralizada moldeable en fibras

Hyadent BG

Ácido hialurónico intraoral

Soluciones regenerativas 360º w w w s a l u g r a f t d e n t a l c o m m a r k e t i n g @ s a l u g r a f t d e n t a l . c o m T +34 932 380 735 @SalugraftDental
® ® ® ® ® cross-linked

Radiografía

IMPLANTES CORTOS BTI DESDE SÓLO 4,5 mm.

ACORTA TUS TRATAMIENTOS CON SOLUCIONES BTI

• Carga inmediata en maxilares atróficos.

• Mayor predictibilidad y menor morbilidad para el paciente.

• Mayor aceptación de tratamientos.

www.bti-biotechnologyinstitute.com

1 eldentistamoderno mayo-junio 2023 BTI Biotechnology Institute Tel: (+34) 945 140 024 | info@bticomercial.com | bti-biotechnologyinstitute.es
a los 9 años

sumario

DMeldentistamoderno

Número 75/76 - Mayo/Junio 2023

En portada:

Figuras 25 y 27 de la página 19 correspondientes al caso de Implantología y Rehabilitación Oral titulado “Caso clínico All-on-4® mandibular”

6

EDITORIAL

El dentista moderno: el dentista 4.0

Por Emi Rodríguez Charmes, directora de DM Dentista Moderno.

8

ENTREVISTA

“La incorporación de tecnología aún más avanzada, como la RM o la IA, nos abre una puerta a un futuro exigente pero espectacular”

Dr. Benito Ramos, presidente del 26 Congreso Nacional de SECOMCyC

12

IMPLANTOLOGÍA Y REHABILITACIÓN ORAL

Caso clínico All-on-4® mandibular

Autor: Dr. Nacho Ginebreda

26

Siguiendo la evolución de la odontología

DIRECTORA

Emiliana Rodríguez Charmes emi.rodriguez@eldentistamoderno.com

SUBDIRECTORA

Beatriz Suárez de la Vega beatriz.suarez@eldentistamoderno.com

REDACCIÓN Y FOTOGRAFÍA

Departamentos propios Versys Ediciones Técnicas

DIRECTOR CIENTÍFICO

Imanol Donnay

COMITÉ CIENTÍFICO

Javier de la Cruz, José Nart, Jesús Daniel Parejo, Juan López

Palafox, Miguel Burgueño, Juan Manuel Vadillo, Guillermo

Galván, Rafael Martínez de Fuentes, Anna Ramiro, Carlos

Repullo, Leticia Rodríguez, Marta Revilla, José María Malfaz, Eva Mª Martínez y Eva López de Castro

DISEÑO Y MAQUETACIÓN

Manuel Beviá

DIRECTORA COMERCIAL ÁREA DE DISTRIBUCIÓN

Mercedes Álvarez mercedes.alvarez@versysediciones.com

DIRECTORA DE CUENTAS DM

Emiliana Rodríguez Charmes emi.rodriguez@eldentistamoderno.com

EJECUTIVA DE CUENTAS DM

Beatriz Montero Fernández de Bobadilla beatriz.montero@eldentistamoderno.com

JÓVENES TALENTOS

“Las instituciones deben optar por seguir una dinámica de enseñanza basada en la evidencia científica y el rigor”

Dr. Alberto Monje, especialista en Periodoncia e Implantología

30 OPINIÓN

“Las nuevas tecnologías han dado un vuelco completo a la forma de afrontar nuestro diagnóstico y tratamiento”

Por: Dr. Eduardo Espinar, especialista en Ortodoncia y Ortopedia

32

CIRUGÍA DE IMPLANTES

SEPA-DM

Cirugía de implantes apoyada en el uso del microscopio: análisis crítico y aplicación práctica

Autores: Dres. David Palombo, Alberto Sicilia y Mariano Sanz

70 ENTREVISTA

“En ‘Perio Clínica’ buscamos temas que puedan tener un impacto directo y ayuden al clínico a obtener mejores resultados con sus pacientes”

Dr. Ignacio Sanz Martín, especialista en Periodoncia e Implantes dentales y director de “Perio Clínica”

74

ODONTOFOBIA

Protocolo de aceptación para el tratamiento del fóbico dental

Autor: Dr. Fernando Germán

80

ACTUALIDAD DEL SECTOR DENTAL

eldentistamoderno mayo-junio 2023

2
SUMARIO
EL DENTISTA MODERNO NÚM. 75 MAYO-JUNIO 2023 ENTREVISTAS Dr. Benito Ramos, presidente del 26 Congreso Nacional de SECOMCyC Dr. Ignacio Sanz Martín, especialista en Periodoncia e Implantes dentales y director de “Perio Clínica” JÓVENES TALENTOS Dr. Alberto Monje, especialista en Periodoncia e Implantología IMPLANTOLOGÍA Y REHABILITACIÓN ORAL CIRUGÍA DE IMPLANTES ODONTOFOBIA OPINIÓN Ortodoncia www.eldentistamoderno.com Siguiendo la evolución de la Odontología para el profesional del sector llamado a construir el futuro N úmero 75 • Mayo/Junio 2023 @dentistamoderno @eldentistamoderno D4.0 ENTREVISTA A LA INDUSTRIA DENTAL: Dra. Clara Esteban, directora médica de DONTE GROUP, y Dra. Esther Charro, directora médica de MAEX ORAL MEDICINE INSIDE by HEALTH AND TECHNOLOGY SOLUTIONS by SEPA-DM

COMPONENTES PARA MÁS DE 140 SISTEMAS DE IMPLANTES

En nuestros centros de producción Zirkonzahn Molaris I y Molaris II, disponemos de un parque de máquinas profesionales con tornos CNC, así como rectifi cadoras y equipos de revestimiento. Se utilizan técnicas de torneado, fresado, rectifi cado y revestimiento de alta precisión para producir nuestras fresas, Raw-Abutments ®, bases de titanio y diferentes piezas para nuestras máquinas.

TODO DE UN MISMO PROVEEDOR

Todos los componentes protésicos de los sistemas implantológicos, se diseñan y fabrican en nuestros centros de producción en el Sudtirol.

HASTA 30 AÑOS DE GARANTÍA

Concedemos hasta 30 años de garantía en todos los componentes de implantes Zirkonzahn utilizados y en todos los implantes de otros fabricantes utilizados con componentes Zirkonzahn.

LOS MÁS ESTRICTOS CRITERIOS DE CALIDAD

Cumplimos con los más estrictos criterios de calidad (ISO 13485 MDSAP; Directiva 93/42/CEE sobre productos sanitarios; Reglamento 2017/745 de la UE sobre productos sanitarios).

6000 + COMPONENTES

Debido a la importancia de ajustar de forma óptima los componentes entre sí cuando se fabrica restauraciones sobre implantes, disponemos de una amplia gama de componentes.

INTEGRACIÓN COMPLETA

Los componentes están 100 % integrados en el Zirkonzahn.Software. El Zirkonzahn Library Download Center permite a los usuarios de 3Shape y exocad® implementar las bibliotecas en su software de diseño.

ENVÍO RÁPIDO A SU LABORATORIO (24 – 48 HR)

Los productos solicitados se entregan directamente en su laboratorio en un plazo de 24 a 48 horas (dependiendo del país).

MICROPRECISIÓN GRACIAS A MODERNAS TÉCNICAS

Todos nuestros componentes se fabrican siguiendo altos estándares. En la búsqueda continua de la precisión y la perfección, utilizamos siempre tecnologías de última generación.

140 + SISTEMAS DE IMPLANTES

Nuestros componentes están disponibles para más de 140 sistemas de implantes y nuestras bibliotecas se actualizan constantemente.

3 eldentistamoderno mayo-junio 2023 Zirkonzahn Ibérica – T +34 937 290 390 – iberica@zirkonzahn.com – www.zirkonzahn.com Zirkonzahn Worldwide – T +39 0474 066 680 – info@zirkonzahn.com – www.zirkonzahn.com

sumario

Impresión: Gama Color

Depósito Legal: M-33444-2013

ISSN: 2340-9703

ISSN (internet): 2340-9797

94

Versys Ediciones Técnicas S.L. Invierno, 17

28850 Torrejón de Ardoz (+34) 912 972 000 administracion@versysediciones.com

CEO

José Manuel Marcos Franco de Sarabia

DIRECTORA DE OPERACIONES

Esther Crespo

DIRECTOR DE EXPANSIÓN

Y DESARROLLO

José Manuel Marcos de Juanes

NOVEDADES

Equipamiento, instrumental y material protésico, dental y clínico

DENTISTA 4.0

50 ENTREVISTA

“A través de doctores que son referencia, queremos que MAEX se convierta en la cabeza de la vanguardia dental y maxilofacial en nuestro país”

Dra. Clara Esteban, directora médica de DONTE GROUP, y Dra. Esther Charro, directora médica de MAEX

56

Copyrigth Versys Ediciones Técnicas S.L. La suscripción a esta publicación autoriza el uso exclusivo y personal de la misma por parte del suscriptor. Cualquier otra reproducción, distribución, comunicación pública o transformación de esta publicación sólo puede ser realizada con la autorización de sus titulares. En particular, la Editorial, a los efectos previstos en el art. 32.1 párrafo 2 del vigente TRLPI, se opone expresamente a que cualquier fragmento de esta obra sea utilizado para la realización de resúmenes de prensa, salvo que cuente con la autorización específica. Diríjase a CEDRO (Centro Español de Derechos Reprográficos) si necesita fotocopiar, escanear, distribuir o poner a disposición de otros usuarios algún fragmento de esta obra, o si quiere utilizarla para elaborar resúmenes de prensa (www.conlicencia.com; 917021970/932720447)

Las opiniones y conceptos vertidos en los artículos firmados lo son exclusivamente de sus autores, sin que la revista los comparta necesariamente.

ORAL MEDICINE INSIDE by

“Con el Congreso buscamos crear un punto de encuentro en el sector que permita a los profesionales discutir, debatir e intercambiar ideas acerca de hacia dónde va la Odontología”

Por: Luis Mallo, presidente de Knotgroup

62 REPORTAJE

El Hospital Universitario Sanitas la Zarzuela, centro de referencia en innovación tecnológica para tratamientos odontológicos

66

HEALTH AND TECHNOLOGY SOLUTIONS by La informática clínica y las nuevas tendencias tecnológicas

Por Juan M. Molina, fundador y CEO de Talentua

En portada D4.0: Imagen de la página 66 correspondiente al artículo de Health and Technology Solutions by Talentua titulado “La informática clínica y las nuevas tendencias tecnológicas”

Fotografía el código QR con el lector de tu smartphone para acceder a El Dentista Moderno

4
eldentistamoderno mayo-junio 2023
SUMARIO
Siguiendo la evolución de la Odontología para el profesional del sector llamado a construir el futuro HEALTH AND TECHNOLOGY SOLUTIONS by La informática clínica y las nuevas tendencias tecnológicas Juan M. Molina, fundador CEO de Talentua ORAL MEDICINE INSIDE by “Con el Congreso buscamos crear un punto de encuentro en el sector que permita a los profesionales discutir, debatir e intercambiar ideas acerca de hacia dónde va la Odontología” Luis Mallo, presidente de Knotgroup REPORTAJE El Hospital Universitario Sanitas la Zarzuela, centro de referencia en innovación tecnológica para tratamientos odontológicos ENTREVISTA A LA INDUSTRIA DENTAL Dra. Clara Esteban, directora médica de DONTE GROUP, y Dra. Esther Charro, directora médica de MAEX
Premio de Comunicación SECIB 2019

Summa Implant, un protocolo 100% digital para grandes rehabilitaciones implantológicas.

Comienza con la planificación protésicamente guiada, sigue con la carga instantánea del implante Instant, y termina con Ilum, la restauración definitiva de zirconio. De la planificación al diente definitivo en 4 visitas.

Carga inmediata Solución de zirconio

Un protocolo de

Planificado

Todo planificado de inicio a fin. De la planificación protésicamente guiada pasamos a una cirugía bajo control con una carga instantánea sin sobresaltos para llegar al trabajo final, copia exacta del provisional testado en boca.

Digital

Gracias a las las herramientas digitales podemos realizar estos protocolos con total garantía y ser 100% predecibles. Sumando planificación, diseño y fabricación digital, multiplicamos el éxito.

Eficiente

De la planificación al trabajo final en tan sólo 4 visitas. Siguiendo el protocolo Summa Implant se reduce a la mitad el tiempo de sillón en este tipo de tratamientos, mejorando la experiencia de los pacientes y ganando eficiencia en la consulta.

5 eldentistamoderno mayo-junio 2023
a conocer corusdental.com
Más información Stand E-17 en SEPA Ven

EL DENTISTA MODERNO: EL DENTISTA 4.0

Todos tenemos la posibilidad de entrar en un navegador a buscar información sobre cualquier tema que nos interese, y los relacionados con la salud son, sin duda, uno de las más demandados. Hay 70 mil búsquedas por minuto que se dan en Google sobre problemas de salud, incluyendo problemas de salud oral; pero nos encontramos con tanta información que cerca del 80% termina esa búsqueda frustrado y estresado por una mala información, con sensación de desinformación y “engaño”.

El impacto de la tecnología en la población debe verse como una ventaja para el posicionamiento del sanitario en general dentro de este escenario y, por supuesto, el del dentista y el equipo de la clínica dental no debe ser menos en todos los sentidos, incluyendo su papel como divulgadores de información fiable dentro del marco digital al que la población tiene acceso.

El profesional dental es la figura que debe destacar en ese momento, porque se debe de convertir en una fuente de información con total accesibilidad. Es por ello que no hay que ponerse de perfil frente a estas nuevas tecnologías y estar presente en medios y redes sociales para entrar en contacto con los pacientes.

Pero además de este acercamiento a los pacientes por parte del profesional dental, hay otras herramientas, como la Inteligencia Artificial (IA), que aportan a los dentistas y el resto del equipo de la clínica una ayuda en la información y educación a los pacientes de manera más eficiente.

La IA puede servir para responder preguntas frecuentes y proporcionar información sobre tratamientos y procedimientos. Puede ayudar a mejorar la calidad de atención que se brinda a los pacientes manteniendo un registro más completo y actualizado de su historial médico y dental, lo que puede ayudar a guiar el tratamiento y mejorar la precisión del diagnóstico.

La IA tiene un uso clave en el apoyo de la gestión de la clínica dental, manteniendo una comunicación activa con los pacientes recordando sus visitas periódicas y el mantenimiento de su salud oral, ficha médica, etc.; en definitiva, automatizando tareas y reduciendo así la carga de trabajo del personal.

La clínica dental tiene una oportunidad para ofrecer una atención aún más personalizada y centrada, y esto es una ventaja competitiva en relación a la calidad de la atención al paciente, ofreciendo beneficios únicos que conducen a relaciones más sólidas y duraderas, una mayor lealtad y que eso lleve a recomendaciones de la clínica.

Si bien estas nuevas tecnologías no reemplazan la formación, experiencia y habilidad de los profesionales de la odontología, sí que pueden ayudar a liberar tiempo para centrarse en el centro y fin del profesional: el paciente.

Por nuestra parte, tenéis todo nuestro apoyo y admiración. Y ahora, más que nunca, seguiremos trabajando con rigor por y para vosotros: Siguiendo la evolución de la odontología y apoyando al profesional del sector llamado a construir el futuro.

6 eldentistamoderno mayo-junio 2023
EDITORIAL
Miguel Burgueño Javier de la Cruz Eva López de Castro Juan Manuel Vadillo Marta Revilla Carlos Repullo José María Malfaz Rafael Martínez Anna Ramiro Juan López Palafox Jesús Daniel Parejo Director Científico de DM Dentista Moderno. Dr. Imanol Donnay Leticia Rodríguez José Nart Emi Rodríguez Directora de Dentista Moderno y D4.0 Eva Mª Martínez

“LA INCORPORACIÓN DE TECNOLOGÍA

AÚN MÁS

AVANZADA, COMO

LA RM O LA IA, NOS ABRE UNA

PUERTA A UN FUTURO EXIGENTE PERO ESPECTACULAR”

Dr. Benito Ramos, presidente del 26 Congreso Nacional de SECOMCyC (15-17 junio, Cartagena)

Del 15 al 17 de junio la ciudad de Cartagena acogerá el 26 Congreso Nacional de la Sociedad Española de Cirugía Oral y Maxilofacial, y de Cabeza y Cuello (SECOMCyC). Un encuentro que, según nos explica en esta entrevista su presidente, el Dr. Benito Ramos, reflejará los últimos avances e innovaciones en Cirugía Oral y Maxilofacial de la mano de especialistas nacionales e internacionales de primer nivel.

 DM.- ¿Cuál será el objetivo del 26 Congreso Nacional de la Sociedad Española de Cirugía Oral y Maxilofacial, y de Cabeza y Cuello (SECOMCyC)?

Dr. Benito Ramos (Dr. B.R.).- Pretendemos cubrir dos objetivos fundamentales de nuestra Sociedad. Por un lado, el científico, para lo que hemos desarrollado un programa muy ambicioso con temas de máxima actualidad y controversia, contando con ponentes nacionales e internacionales de primer nivel. Y, por otro lado, el humano, pues hace ya 4 años, pandemia por medio, de la celebración de nuestro último Congreso Nacional en Sevilla. Ha costado mucho tiempo poder encontrarnos de nuevo en persona y compartir nuestras experiencias personales y profesionales “cara a cara” en el evento más importante de la SECOMCyC, algo que echábamos mucho de menos.

DM.- ¿Cómo han trabajado desde el Comité Científico para que este Congreso sea una puesta al día en Cirugía Oral y Maxilofacial?

Dr. B.R.- El trabajo ha sido intenso para reflejar en el programa del congreso los grandes avances e innovaciones que se han ido produciendo en los últimos años en una especialidad tan dinámica como es la Cirugía Oral y Maxilofacial. Vamos a tener la oportunidad de contar con especialistas punteros en campos como la impresión 3D y bioimpresión de tejidos, el paciente digital y la planificación vir-

entrevista ENTREVISTA 8 eldentistamoderno mayo-junio 2023

tual, la realidad aumentada, la inteligencia artificial o la cirugía robótica puestas al servicio de una especialidad tan exigente como la nuestra debido al territorio anatómico en el que se desarrolla.

 DM.- A la hora de diseñar el programa, ¿cuáles serán las temáticas que centrarán las diferentes sesiones del Congreso?

Dr. B.R.- Los cuatro grandes bloques temáticos son: Cirugía Estética Facial, Innovación y Nuevas Tecnologías, Cirugía Reconstructiva Maxilofacial/ATM y Cirugía Ortognática.

 DM.- En este sentido, ¿cuáles son los temas que más interesan a los profesionales que asistirán al próximo Congreso Nacional de SECOMCyC y cómo se tratarán durante el encuentro?

Dr. B.R.- Hemos centrado el programa del congreso en aquellos aspectos que más interés suscitan entre los profesionales de la Cirugía Oral y Maxilofacial, teniendo en cuenta que SECOMCyC celebra también bianualmente un Congreso de Cirugía Oral e Implantología donde se tratan específicamente estos temas.

Este congreso se ha enfocado en aspectos críticos que integran los avances tecnológicos más recientes en áreas de la precisión quirúrgica, la predictibilidad de los tratamientos y la seguridad del paciente, permitiendo cirugías menos invasivas y a la vez más seguras.

Por ejemplo, poder planificar virtualmente una cirugía oncológica maxilofacial mediante programas de cirugía virtual, generando a su vez guías de corte de precisión milimétrica, integrar esta planificación en un navegador que permite comprobar intraoperatoriamente la precisión de la cirugía en tiempo real, disponer en su caso de prótesis custo-

mizadas específicas para la reconstrucción de ese paciente o sistemas de osteosíntesis igualmente personalizados para cada caso es hoy una realidad que ha impulsado a nuestra especialidad a la cima del avance tecnológico. La incorporación de tecnología aún más avanzada, como la realidad mixta o la inteligencia artificial, nos abre una puerta a un futuro exigente pero espectacular.

 DM.- Más concretamente, ¿cuáles serán las novedades y tendencias que se presentarán en cada una de las sesiones: Cirugía Estética Facial, Innovación y Nuevas Tecnologías, Cirugía Reconstructiva Maxilofacial/ATM y Cirugía Ortognática?

Dr. B.R.- En Cirugía Estética Facial vamos a poder compartir la experiencia de destacados profesionales que realizan procedimientos muy poco inva-

9 eldentistamoderno mayo-junio 2023
El programa del congreso refleja los grandes avances e innovaciones que se han ido produciendo en los últimos años en una especialidad tan dinámica como es la Cirugía Oral y Maxilofacial
Hemos desarrollado un programa muy ambicioso con temas de máxima actualidad y controversia, contando con ponentes nacionales e internacionales de primer nivel ”

sivos con resultados excelentes, como la rinoplastia ultrasónica o el minilifting facial, así como de técnicas y detalles de refinamiento y excelencia en los resultados, tan importantes en esta zona de la anatomía.

También los últimos conocimientos en técnicas regenerativas con el uso de la grasa autóloga y el potencial de las células madre en la lipoestructrura facial.

En la sesión de Innovación y Nuevas Tecnologías recibiremos información muy actualizada de los

mayores avances tecnológicos incorporados a la Cirugía Maxilofacial, desde el concepto del “paciente digital” a la impresión 3D y bioimpresión de tejidos, pasando por la planificación virtual, la navegación quirúrgica y el diseño e impresión de prótesis e implantes customizados específicos para cada paciente. Y conoceremos el potencial de la realidad aumentada, la inteligencia artificial y la cirugía robótica miniaturizada, campos en los que la Cirugía Maxilofacial es una especialidad pionera. Todos estos avances técnicos se van a ver de forma muy práctica en la sesión de Cirugía Reconstructiva/ATM, donde conoceremos de primera mano la aplicación clínica de todos estos conocimientos. Y tendremos la oportunidad de compartir la vasta experiencia en el tratamiento de malformaciones faciales congénitas por parte de cirujanos indios que dirigen uno de los mayores centros del mundo donde se trata esta patología, con una increíble casuística de más de 30.000 niños intervenidos, además de forma altruista dentro de programas de cirugía solidaria.

La última sesión, dedicada a la Cirugía Ortognática, va a integrar todo lo anterior, al ser una cirugía que se basa en la planificación virtual y el diseño de guías quirúrgicas y dispositivos de osteosíntesis específicos para cada paciente, con un claro componente estético en la optimización del perfil del paciente que previamente tenía una deformidad dentofacial severa, y con un claro componente de reconstrucción funcional cuando se aplica a pacientes con problemas malformativos sindrómicos o con síndrome de apnea obstructiva del sueño. Quiero aprovechar para recordar aquí que la cirugía ortognática basada en el avance del complejo maxilo-mandibular es la técnica quirúrgica que mejores resultados obtiene en los pacientes con apnea del sueño, con una tasa de éxito por encima del 95% refrendada por una abrumadora evidencia científica.

 DM.- ¿Qué especialistas de renombre participarán como ponentes en el Congreso?

Dr. B.R.- La verdad es que ha sido difícil seleccionar los ponentes nacionales por el alto nivel de la Cirugía Oral y Maxilofacial Española. Contamos así con ponentes prácticamente de la totalidad de la geografía española que van a ser una buena muestra de nuestro hacer.

A nivel internacional vamos a poder disfrutar de algunos de los mejores especialistas en sus res-

ENTREVISTA 10 eldentistamoderno mayo-junio 2023
entrevista
El encuentro se dividirá en cuatro grandes bloques temáticos: Cirugía Estética Facial, Innovación y Nuevas Tecnologías, Cirugía Reconstructiva Maxilofacial/ATM y Cirugía Ortognática

pectivos campos. Por ejemplo, Stefaan Berge, de Holanda, próximo presidente de la Sociedad Europea de Cirugía Cráneo-Maxilo-Facial y experto en inteligencia artificial; Florian Thieringer, de Suiza, experto en realidad aumentada y desarrollador de un innovador proyecto de cirugía robótica miniaturizada; Gosla Reddy, de India, y Eduard Paraschivescu, de Rumanía, expertos en el tratamiento de malformaciones faciales congénitas; Giovanni Gerbino, de Italia, experto en cirugía reconstructiva de la articulación temporomandibular mediante prótesis customizadas; Simonas Grybauskas, de Lituania, experto en cirugía ortognática; y Majeed Rana, de Alemania, experto en tecnología virtual y realidad aumentada.

Por último y para ampliar la visión de nuestra especialidad, vamos a contar con otros especialistas como Angel Pecorelli (cirujano plástico, Venezuela), Santiago Ferris (odontólogo especialista en tecnología digital), Dioniso Fernandez Aliaga (ortodoncista especialista en cirugía ortognática), Constanza Meazzini (ortodoncista especialista en malformaciones faciales, Italia) y Manuel Figueruela (ingeniero especialista en bioimpresión), entre otros.

 DM.- El programa incluye, además, dos cirugías en directo. ¿Qué profesionales estarán al cargo de estas sesiones y sobre qué versarán?

Dr. B.R.- Las dos cirugías están comprendidas en sendos cursos Pre-Congreso y especialmente dirigidas a los médicos residentes en formación, para que tengan acceso a la cirugía en directo paso a paso; por ello, pretenden ser muy interactivas entre los cirujanos que realizan la intervención y la audiencia.

La primera cirugía versará sobre la rehabilitación de maxilares atróficos mediante la utilización de cuatro implantes cigomáticos, con la técnica de Quad-Zygoma, que permite rehabilitar dentalmente casos extremos sin necesidad de injertos óseos y además con carga funcional inmediata. Esta cirugía tenemos el honor de realizarla al alimón Juan José Haro y yo mismo, ambos especialistas del Hospital Universitario Santa Lucía de Cartagena, donde se realizarán las intervenciones.

La segunda cirugía versará sobre rinoplastia estructural ultrasónica y tenemos la enorme fortuna de contar con Blas García, cirujano maxilofacial español y uno de los mayores expertos mundiales en esta técnica, con resultados realmente impresionantes.

Las cirugías en directo han levantado mucha expectación y me anticipo a pensar que van a ser uno de los platos fuertes del Congreso, ver en directo la elegancia y precisión de sus movimientos va a ser un privilegio.

 DM.- Háblenos sobre la Mesa SECOMCyCJoven sobre “Nuevos enfoques para viejos problemas” que tendrá lugar en la jornada del sábado 17 de junio.

Dr. B.R.- Uno de los objetivos de SECOMCyC y, por tanto, del congreso es promover la participación activa de los cirujanos maxilofaciales jóvenes que, con su enfoque, empuje y dominio de las nuevas tecnologías, aportan una visión al futuro. En esta mesa de SECOMCyCJoven se plantean nuevas alternativas a viejos problemas, lo que sin duda será muy enriquecedor.

 DM.- ¿Qué previsiones de participación tienen para el encuentro?

Dr. B.R.- Esperamos 400 asistentes, a los que deseamos una magnífica estancia en Cartagena, ciudad trimilenaria muy acogedora y cargada de Historia con mayúsculas. El Palacio de Congresos del Batel, en pleno puerto de Cartagena, será un marco excelente para congresistas y ponentes, a los que esperamos con mucha ilusión. 

11 eldentistamoderno mayo-junio 2023
” “
Este congreso se ha enfocado en aspectos críticos que integran los avances tecnológicos más recientes en áreas de la precisión quirúrgica, la predictibilidad de los tratamientos y la seguridad del paciente, permitiendo cirugías menos invasivas y a la vez más seguras
Hemos centrado el programa del congreso en aquellos aspectos que más interés suscitan entre los profesionales de la Cirugía
Oral y Maxilofacial ”

caso clínico

CASO CLÍNICO ALL-ON-4 ® MANDIBULAR

“Nooneshoulddiewiththeirteethsittinginaglassofwater”. Igual de legendaria que es esta frase del Profesor P-I Branemark, lo es el concepto de rehabilitación fija de la arcada completa sobre 4 implantes y 12 dientes: el protocolo All-on-4®. El objetivo de esta publicación es explicar y discutir, a través de un caso clínico, el paso a paso de la transición de una dentición terminal a una rehabilitación de arcada completa mediante el concepto de tratamiento All-on-4®.

Introducción

“No one should die with their teeth sitting in a glass of water”. Igual de legendaria que es esta frase del Profesor P-I Branemark, lo es el concepto de rehabilitación fija de la arcada completa sobre 4 implantes y 12 dientes: el protocolo All-on-4®

El objetivo de esta publicación es explicar y discutir, a través de un caso clínico, el paso a paso de la transición de una dentición terminal a una rehabilitación de arcada completa mediante el concepto de tratamiento All-on-4®

Dr. Nacho Ginebreda Licenciado en Odontología por la Universitat Internacional de Catalunya (UIC). Residencia Clínica en Implantología Oral, UIC. Diplomado en Periodoncia en Clínica. Clinica Aparicio & University of Gothenburg. Internship Advanced Education in Implant Dentistry, Loma Linda University, California. Graduate Certificate Advanced Clinical Training Program in Surgical Implant Dentistry, University of California, Los Angeles (UCLA). Ha recibido diversas becas de investigación a lo largo de su carrera y ha presentado sus proyectos científicos en congresos tanto de ámbito nacional como internacional. Dentro de sus éxitos se encuentra el premio a la mejor comunicación oral de la Academia Americana de Implantes Dentales (AAID) en 2013.

Un concepto que va más allá de una técnica, sino que se trata de un protocolo revolucionario en su día. Algo que resulta muy difícil de establecer y del que hay pocos ejemplos tan rotundos en el campo de la implantología y la rehabilitación oral. Un protocolo efectivo y reproducible por miles de clínicos, estandarizable a una amplia mayoría de situaciones clínicas y que, 25 años después de su presentación, está validado clínica y científicamente con más de 250.000 pacientes tratados mundialmente y con solidas publicaciones al más alto nivel de evidencia.

De sobra son conocidas las ventajas del concepto de tratamiento All-on-4®, pero aspectos cómo la tan demandada inmediatez y la simplicidad, resultan muy atractivos tanto para pacientes como para clínicos. Hablamos de pacientes edéntulos o pacientes que presentan denticiones “terminales” que llevan sufriendo de incomodidad durante años y no pueden ejercer las funciones orales correctamente o cuya situación representa una disminución en su calidad de vida, estado de salud general y/o emocional. Por parte del clínico, hablamos de simplificar casos complejos donde por distintas razones no resulta posible colocar implantes de manera convencional o bien colocar cierto número de implantes al que otras filosofías de tratamiento se aferran y abogan. Se trata de evitar procedimientos regenerativos o reconstructivos que, a pesar de estar completamente validados, van a incrementar los costes, el tiempo, la morbilidad y el riesgo del tratamiento.

Material y Métodos

Presentación del caso

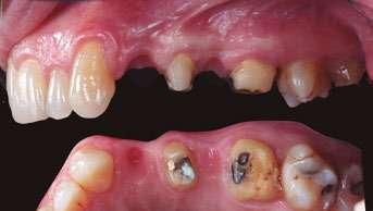
Paciente mujer de 48 años con antecedentes de diabetes tipo I controlada y exfumadora de 1 paquete de cigarrillos diario, se presenta en consulta con malestar general en su boca y dolor. Se declara incapaz de poder ejercer correctamente las funciones apropiadas de la cavidad oral y es muy consciente de que puede perder sus dientes. En su motivo de consulta demanda una solución “fija y estética” para rehabilitar su boca.

Diagnóstico, pronóstico pruebas complementarias y plan de tratamiento

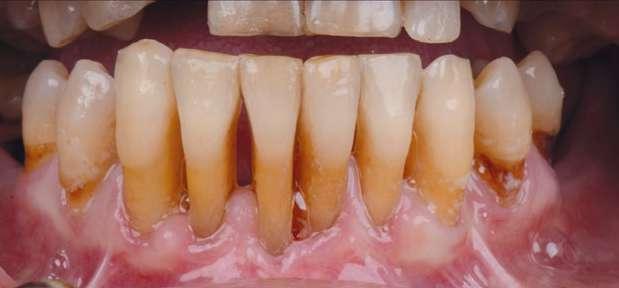
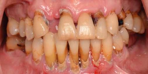
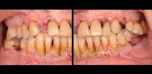
Se trata de un caso de dentición terminal de una paciente parcialmente edéntula clase II de Kennedy modificación 1 en la mandíbula.

Periodontalmente, se clasificó como Enfermedad

Periodontal en Estadio IV Grado 3, presentando sangrado al sondaje, bolsas generalizadas mayores o iguales a 5 mm, movilidad tipo 2 y tipo 3 en los dientes presentes debido al trauma oclusal secundario asociado a la gran pérdida de inserción generalizada y falta de soporte posterior. El 5º sextante se encontraba ferulizado en el aspecto lingual para mantener los dientes de forma temporal.

A nivel de estructura dental remanente y desde el punto de vista restaurador, existían lesiones cervicales e interproximales de caries a nivel de la LAC en premolares que indicaban una rehabilitación

12 eldentistamoderno mayo-junio 2023 IMPLANTOLOGÍA Y REHABILITACIÓN ORAL

compleja y que a nivel estructural no representaban buenos pilares para un posible tratamiento de prótesis fija o removible. (Figuras 1 a 4). En general, la situación de la dentición remanente de la arcada inferior se presentaba muy comprometida y el pronóstico a medio y largo plazo era totalmente desfavorable. Por lo tanto, se decidió prescindir de la dentición y plantear una rehabilitación completa, en este caso una rehabilitación fija soportada por implantes osteointegrados. Desde un enfoque rehabilitador, se evaluaron y restablecieron parámetros oclusales básicos como la dimensión vertical, la orientación del plano oclusal, la línea media, y la estabilidad o reproducibilidad de la mordida para poder guiar el futuro encerado diagnóstico y determinar la posición final de los dientes y el volumen definitivo de la futura restauración (Figura

5). Asimismo se llevó a cabo un análisis estético de la sonrisa y se tomaron registros fotográficos extra- e intraorales para guiar al laboratorio en el diseño (Figura 6). Se realizó la toma de registros mediante IOS y se diseñó el montaje de dientes definitivo con Exocad para proseguir con el plan de tratamiento (Figura 7). Mediante el software de planificación virtual de implantes DTX Studio Implant, se procesaron los archivos STL del encerado diagnóstico y se fusionaron con los datos DICOM del CBCT. Se llevó a cabo un análisis global con toda la información

ósea, dental y de tejidos blandos del paciente para establecer el plan de tratamiento definitivo. Gracias al encerado virtual y a la superposición, se diagnosticó en seguida la necesidad de proporcionar una prótesis definitiva con un perfil protésico rosa para sustituir, no solamente los dientes sino también parte del reborde alveolar y encía perdidos. Asimismo, el análisis de la disponibilidad ósea reveló un reborde alveolar delgado en su totalidad y una atrofia horizontal en forma de filo de cuchillo en los tramos edéntulos posteriores correspondientes a la posición de los primeros molares. La colocación de implantes en dichas zonas implicaría la necesidad de una primera cirugía reconstructiva mediante injertos óseos o regeneración ósea guiada. Por otra parte, la planificación virtual reveló la posibilidad de ejecutar el protocolo All-on-4® de manera predecible en cuanto a distribución e inclinación distal de los implantes. Sin producir un cantilever excesivo y sin necesidad de regeneración ósea podría rehabilitarse hasta el primer molar (Fig. 8 y 9). Una vez expuestos los pros y contras de cada opción, la paciente se decidió por esta alternativa. Finalmente se debía decidir el tipo de prótesis a realizar. Debido a la necesidad de crear un perfil proteico rosa por lo mencionado anteriormente y a ciertas limitaciones económicas se optó por realizar una prótesis definitiva de titanio-resina.

13 eldentistamoderno mayo-junio 2023 Artículo patrocinado
1 3 2 4
Figuras 1-4: Situación inicial en la primera visita. Imágenes intraorales y radiografía panorámica inicial.

caso clínico

Una vez acordado y establecido el plan definitivo se determinó en el software la posición definitiva de los implantes y se establecieron las mediciones necesarias con respecto de ciertas referencias anatómicas para trasladar lo planificado virtualmente al escenario quirúrgico in vivo.

También se encargó al laboratorio la confección de una dentadura completa inmediata que serviría de guía durante la cirugía y una férula de posicionamiento oclusal para rebasar la dentadura en la posición de tratamiento adecuada posteriormente (Figuras 10 y 11).

los dientes en la prótesis definitiva.

Figura 6: Fotografías extraorales y análisis de la sonrisa.

Figura 7: Imágenes del proceso de encerado diagnóstico digital. Extracciones virtuales, montaje de dientes inferior en base a nuevos registros y volumen definitivo de la dentadura inmediata provisional.

Figura 8: Planificación virtual de la colocación de los implantes y pilares transepiteliales definitivos en la disposición para el protocolo All-on-4®. Localización de estructuras anatómicas vitales y medición de las distancias necesarias para la reducción ósea en cada posición de implante.

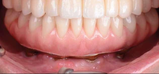
Ejecución quirúrgica: Protocolo All-on-4® Tras una primera fase higiénica y de desinflamación mediante profilaxis y RAR (Figura 5) además de tratamiento coadyuvante con enjuagues clorhexidina al 0,2% durante 10 días, se llevó a cabo la fase quirúrgica y de colocación de la prótesis provisional de carga inmediata en una sola intervención. Bajo sedación consciente (Perfusión IV de Midazolam, Fentanilo y Propofol) y anestesia local infiltrativa de toda la periferia de la mandíbula (Articaína 40mg / Epinefrina 1:100.000) se realizó la extracción de los dientes remanentes y se procedió a la eliminación del tejido de granulación remanente mediante curetas de Lucas e instrumentación rotatoria con irrigación (Figura 12). Posteriormente, se diseñó la incisión preservando la fina banda de encía queratinizada remanente y se levantó un colgajo a espesor total, exponiendo el proceso alveolar mandibular e identificando los orificios mentonianos y el recorrido inicial del nervio mentoniano en su porción inicial en ambas hemiarcadas (Figura 13). Seguidamente y con la ayuda de la guía quirúrgica y la guía de posicionamiento oclusal in situ, se determinaron y marcaron en el hueso los milímetros de reducción ósea necesarios para poder colocar los implantes con los adecuados grosores de cortical vestibular y linguae además de establecer el espacio adecuado para albergar la prótesis definitiva (16mm desde la plataforma del implante al plano oclusal). Mediante pieza de mano recta a alta velocidad, irrigación salina profusa y fresa redonda de acero quirúrgico de diámetro 4mm se llevó a cabo la alveolectomía y alveoloplastia (Figura 14).

Una vez regularizado el reborde alveolar, se colocó la guía quirúrgica de nuevo y se utilizó una fresa de punta de lanza para marcar la posición inicial de las plataformas de los implantes. A continuación, se procedió a la secuencia de fresado de los im-

14 eldentistamoderno mayo-junio 2023 IMPLANTOLOGÍA Y REHABILITACIÓN ORAL
5 6 7 8
Figura 5: Aspecto de la arcada inferior después de la fase higiénica. Reevaluación de parámetros oclusales básicos para guiar en el encerado de la disposición final de

plantes posteriores. Siempre siguiendo la planificación virtual e inclinados de forma anterior teniendo en cuenta la curvatura del nervio alveolar inferior y maximizando la distancia anteroposterior entre los implantes. Se utilizó la secuencia recomendada por el fabricante en hueso tipo II para colocar implantes del modelo Parallell CC NP (3.75x13mm) en la posición #4.5 y modelo Active NP (3.5x13mm) en la posición #3.5 respectivamente. Los torques de inserción superaron los 35 Ncm mediante llave dinamométrica, lo que permitió llevar a cabo la instalación de los pilares Mutliunit anulados de 30º y 3,5mm de altura a torque definitivo (15 Ncm). Se rotaron los implantes para que la orientación de los pilares proporcionara una adecuada emergencia oclusal. Finalmente se procedió a terminar las osteotomías de los implantes anteriores en la zona de los incisivos laterales #3.2 y #4.2 (Protocolo Nobel Parallell CC NP 3,75x13mm). Se colocaron pilares Multiunit rectos de 2.5mm de altura a torque de 35Ncm (Figuras 15 y 16).

Antes de proceder al cierre primario, se atornillaron 4 cilindros provisionales de titanio sobre los pilares Multiunit y se rellenaron con virutas de hueso autólogo, reservado de la alveoloplastia, los alveolos remanentes y algunas zonas expuestas de la superficie de los implantes distales. Los tejidos se aproximaron y suturaron los bordes de la herida con puntos simples interrumpidos y sutura reabsorbible de 5/0 dando por terminada la fase quirúrgica.

Técnica de Pick-up

Para la fijación de la prótesis completa inmediata provisional a los cilindros provisionales se optó por la técnica de Gallucci o técnica de pick-up directo en boca. Previamente, se sellaron las chimeneas de los cilindros provisionales con telón y se protegió la arcada mediante un dique de goma recortado en forma de semiluna y con 4 perforaciones haciéndolo coincidir con la emergencia de los cilindros provisionales. De este modo, la herida quirúrgica quedó separada de la posible contaminación por restos de monómero libre o resina acrílica sobrante y también se evitó que los nudos de la sutura quedasen atrapados en el propio rebase. Una vez asegurado el adecuado asentamiento y la libre inserción de la prótesis perforada con respecto a los cilindros provisionales, se colocó resina acrílica autopolimerizable, tanto en las perforaciones de la prótesis como alrededor de los cilindros y se insertó la prótesis haciendo cerrar a la paciente

Figura

Imagen de la dentadura completa inmediata fresada en PMMA y la férula de posicionamiento oclusal con la arcada antagonista para rebasar en la posición determinada de tratamiento. Nótese las extensiones que abarcan el área del trígono retromolar para proporcionar un soporte adecuado a la hora de capturar los cilindros provisionales.

Figura 11: Utilización de la prótesis provisional inmediata como guía quirúrgica. Se marca la salida de los implantes según la planificación virtual. Posteriormente se realizan perforaciones en el acrílico y se producen las osteotomías iniciales a través de la guía para respetar las emergencias de los tornillos en todo momento.

15 eldentistamoderno mayo-junio 2023
9 10 11
Figura 9: Vista oclusal de la posición de los implantes para comprobar la distribución anteroposterior. Inclinando la posición de los implantes posteriores hasta un máximo de 45º se maximiza esta distancia y se reduce la longitud del cantilever de la prótesis. 10:

caso clínico

en la posición de tratamiento adecuada mediante la férula o jig de reposición oclusal. Pasado el tiempo de fraguado, se retiraron los excesos de acrílico, los teflones y se procedió a desatornillar el conjunto de la prótesis con los cilindros. Asimismo se certificó que los 4 cilindros estuviesen bien fijados a la base de la dentadura provisional (Figura 17).

Conversión de la dentadura y carga inmediata En este caso en particular la conversión de la dentadura inmediata a prótesis provisional de carga inmediata se realizó en clínica. Primeramente, se fijaron 4 réplicas de pilar Multiunit para proteger y no dañar la plataforma de los cilindros provisionales. Acto seguido se rellenaron los espacios vacíos de la zona basal con resina acrílica hasta establecer un contacto basal plano y uniforme, siempre sin exceder y dejando libre la anilla pulida del extremo más apical de cada cilindro provisional. Después, se procedió a recortar las extensiones más distales a los implantes posteriores y eliminar excesos de acrílico y concavidades de todo el perímetro de la prótesis con el objetivo de dejar un perfil de emergencia convexo y establecer una transición suave y expulsiva desde la encía de la propia paciente. Se utilizaron fresas de acero inoxidable y gomas de pulido para acrílico. Para el pulido final se utilizó piedra pómez de granos medio y fino y pastas para abrillantar acrílico. (Figuras 18 y 19).

Finalmente, se atornilló la prótesis en boca y se ajustó la oclusión mínimamente, de forma que se proporcionaron contactos uniformes y simultáneos de primer premolar a primer premolar en oclusión céntrica y función de grupo posterior (canino y premolar) en ambos lados (Figura 20).

Se proporcionaron las instrucciones habituales de postoperatorio y se insistió en realizar una dieta blanda de “no masticar” con el fin de no producir ninguna sobrecarga en los implantes recién colocados o de fracturar la prótesis provisional. Se prescribió medicación antibiótica (Amoxicilina 500mg 1c/8h/7d), analgésica (Paracetamol 1 gr alternado cada 4h hasta un máximo de 3 comprimidos diarios) antiinflamatoria (Dexketoprofeno 25mg 1c/8h/5-67d) y antiséptica (gel de clorhexidina 0’2% 2v/d 15 d.

Se monitorizó la evolución de la cicatrización a la semana, a las dos semanas y a las 6 semanas de postoperatorio. Asimismo, se realizaron los ajustes oclusales necesarios para seguir manteniendo el equilibrio y los contactos oclusales deseados.

16 eldentistamoderno mayo-junio 2023 IMPLANTOLOGÍA Y REHABILITACIÓN ORAL
12 13 14
Figura 12: Aspecto de los alveolos postextracción. Nótese la escasa cantidad de encía queratinizada. Figura 13: Colgajo a espesor total e identificación de estructuras anatómicas vitales. Figura 14: Alveoloplastia. Por lo general se recomienda reducir una hemiarcada primero e ir controlando con la guía quirúrgica los milímetros de reducción.

Figuras 15 y 16: Imágenes del reborde alveolar remodelado con la colocación de los implantes según la planificación virtual y las emergencias en referencia a la guía quirúrgica. Véase la colocación de los pilares transepiteliales rectos y de 30º para compensar la inclinación a distal de los implantes.

Figura 17: Aspecto del conjunto prótesis provisional inmediata y cilindros provisionales de titanio una vez capturados con resina acrílica mediante la técnica de pick-up.

17 eldentistamoderno mayo-junio 2023 15 16 17

caso clínico

18 eldentista
mayo-junio
IMPLANTOLOGÍA Y REHABILITACIÓN ORAL 18 19
moderno
2023
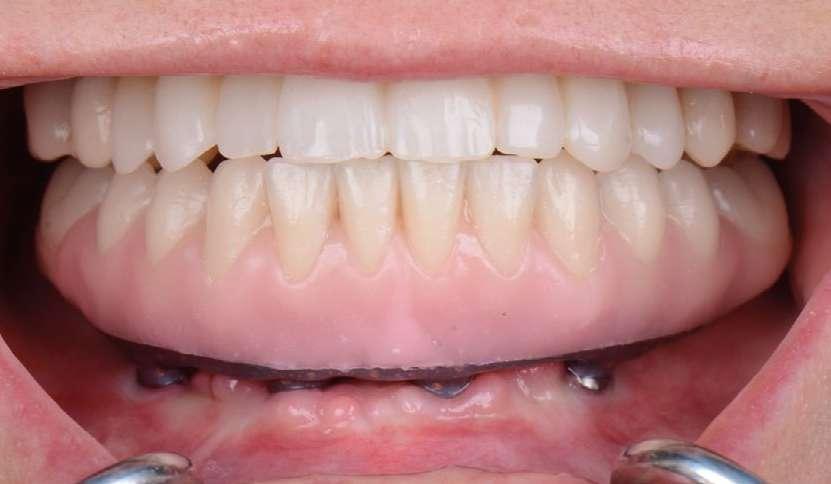
Figuras 18 y 19: Conversión de prótesis completa a provisional atornillado sobre implantes All-on-4®. Confección de los perfiles de emergencia, acabado y protocolo de pulido.
20 21 22 23
Figura 20: imagen intraoral de la prótesis de All-on-4® de carga inmediata. Figura 21: Visita 1; Aspecto de la cicatrización a los 3 meses. Nótese el estado de salud periimplantaria a pesar del fenotipo fino. En esta consulta se toma una impresión de alginato para confección de una cubeta individual. Figura 22: Visita 2; Colocación de los transfers de impresión de cubeta abierta sobre los pilares Multiunit. Figura 23: Visita 2; Ferulización intraoral de los transfers de impresión para asegurar pasividad y correcta transferencia de información de posición 3D de los implantes.

Confección de la prótesis definitiva y monitorización

Transcurridas 12 semanas de la cirugía con All-on-4® en mandíbula, se desatornilló la prótesis provisional de carga inmediata y se confirmó la osteointegración de los implantes mediante torque a través de los pilares Multiunit (Figura 21).

Se dio entonces paso a la fase de rehabilitación definitiva que consistió en una secuencia de 6 visitas que se describe gráficamente a través de las figuras (Figuras 22 a 31).

Se diseñó una estructura de titanio con una sección en forma de “L” con un doble objetivo: 1) tener titanio pulido tanto en la zona basal como en la superficie lingual de la prótesis para evitar la excesiva formación de cálculo y 2) para distribuir y disipar mejor las fuerzas provocadas por los cantilevers. En cuanto a contacto con el tejido, esta barra se diseñó sin contacto alguno de la zona basal con el tejido, dejando 1.5mm entre encía y prótesis para facilitar el acceso a la higiene mediante cepillo interproximal.

19 eldentistamoderno mayo-junio 2023
24 25 26 27
Figura 24: Visita 2; Toma de impresión mediante polieter. Figura 25: Visita 2; Aspecto de la cubeta individual después de la toma de impresión definitiva. Figura 26: Visita 3; Ferulización intraoral de prueba de pasividad. Figura 27: Visita 3; Test de Sheffield en el modelo maestro para asegurar pasividad en la inserción y correcto asentamiento de la estructura sobre los pilares Multiunit.

caso clínico

Figura 28: Visita 3; Montaje de modelos en articulador en clínica utilizando los provisionales inmediatos de la paciente. Transferencia de la información oclusal (Dimensión Vertical, Plano Oclusal Relación céntrica y Línea media). Y de la relación cráneo-maxilar mediante arco facial.

Figura 29: Visita 4; Prueba de dientes en cera atornillada con 2 implantes. Montaje y volumen definitivo de la prótesis.

Figura 30: Visita 4; Prueba de dientes en boca y comprobación del montaje mediante registro de mordida. También se evaluarán los parámetros oclusales.

Figura 31: Visita 5; Prueba de barra con dientes en cera. Comprobación del montaje y registros. Nótese como el diseño de la barra tiene titanio pulido en la zona basal y está separada del tejido 1,5mm para asegurar el acceso a la higiene y evitar la formación de cálculo.

20 eldentistamoderno mayo-junio 2023 IMPLANTOLOGÍA Y REHABILITACIÓN ORAL 28 29 30
31

la

un aspecto más

y

de titanio presenta una sección en “L” donde la zona basal y lingual estarán presentadas en metal pulido y adonizado para evitar la formación de cálculo. Los perfiles de emergencia serán convexos y vendrán biselados desde la encía para facilitar la autoclisis y evitar el acúmulo de placa. Esta barra requiere un mínimo grosor vertical de 3mm y la prótesis requiere un total de 16 mm como mínimo.

21 eldentistamoderno mayo-junio 2023 32 33 34
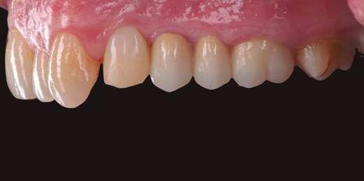
Figuras 32-34: Visita 6; Detalles de la prótesis acabada. Nótese caracterización de la resina para ofrecer estético natural. El diseño de la barra

caso clínico

En cuanto al esquema oclusal, se proporcionaron contactos uniformes y simultáneos en todos los dientes de la arcada, siendo unas micras más ligeros los contactos de los primeros molares. En movimientos excursivos se proporcionó una función de grupo de incisivo lateral, canino y premolar con

una desoclusión “suave”. Finalmente, se proporcionó una férula de descarga para proteger el sistema y alargar el desgaste.

La paciente pasó a protocolo de monitorización y mantenimiento en la que acude a revisión cada 6 meses (Figura 36). Se realizan radiografías, se

22 eldentistamoderno mayo-junio 2023 IMPLANTOLOGÍA Y REHABILITACIÓN ORAL 35 36
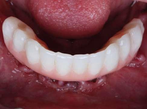
Figura 35: Visita 6; Aspecto intraoral de la entrega de la prótesis definitiva. Figura 36: Radiografía panorámica 1 año post entrega en la visita de mantenimiento.

buscan signos de inflamación peri-periimplantaria, se refuerzan las técnicas de higiene oral si es necesario, se revisa la oclusión y la férula de descarga y como mínimo 1 vez al año se desmonta y se chequean los pilares Multiunit así como los tornillos protésicos y si es necesario, se cambian. Cuando el desgaste oclusal de los dientes de resina excede de los parámetros normales, ya sea alterando el plano oclusal o disminuyendo la dimensión vertical, se sugiere un recambio del juego de dientes.

Discusión

A lo largo de este caso clínico, se describe el paso a paso de una rehabilitación de una arcada mandibular utilizando el protocolo All-on-4®. Desde el diagnóstico, la justificación del plan de tratamiento, pasando por la descripción del acto quirúrgico y carga inmediata hasta la secuencia de fabricación de prótesis definitiva con una gran cantidad de detalles. Sin embargo, se deben discutir ciertos puntos que difieren del protocolo clásico. El primer punto para destacar de este caso clínico es la utilización de una prótesis provisional que ejerce de guía quirúrgica. Ésta nace siempre de un encerado diagnóstico ideal con unos parámetros oclusales que se respetan de principio a fin del tratamiento. Tal y como se ha descrito en el artículo, la idea es siempre utilizar el volumen y los contornos de la prótesis como referencia durante la cirugía, tanto para identificar y trasladar los milímetros de reducción ósea como para marcar la emergencia concreta de los implantes planificados virtualmente, así como la orientación de los pilares Multiunit angulados. Para ello, esta guía debe estar bien posicionada. Es por ello por lo que se utilizan las zonas principales de soporte de la mandíbula, en este caso el trígono retromolar. De la misma forma, al realizar las incisiones y el diseño del colgajo, éste nunca se va a extremar más a distal del primer molar, ya que esa zona será clave para soportar la prótesis de manera repetitiva y estable. Gracias a la tecnología digital, en este caso fue de gran ayuda crear una pequeña férula oclusal de posicionamiento para estabilizar más la prótesis al realizar la técnica de pick-up. Por contra, el protocolo original de All-on-4 ® facilita una guía quirúrgica estándar para todos los pacientes que se estabiliza en una osteotomía practicada en la línea media ósea de la arcada a intervenir. Por lo tanto, está claro que

si las líneas medias no coinciden es posible que se cree una distribución errónea de los implantes, hecho que cuando se utilizan 4 implantes es crucial para la supervivencia biomecánica del tratamiento. Además, esta guía tiene una placa metálica que se amolda a la forma de la arcada manualmente y que, teóricamente si está bien colocada ofrece la orientación del plano oclusal y de la parte interna de la prótesis definitiva. Aunque, como es obvio, la utilización de esta guía es mejor que no utilizar ninguna, se cree firmemente que la planificación y la ejecución debe ser siempre protésicamente guiada para no dejar nada a merced del azar. La cantidad de encía queratinizada que rodea a los implantes es de vital importancia en cuanto a la supervivencia de los tratamientos a largo plazo. En estos casos donde la enfermedad periodontal se encuentra con unos niveles tan altos de inflamación y en estados tan avanzados, resulta impredecible pronosticar la cantidad de encía que se va a formar tras la maduración de los tejidos blandos. Pese a realizar una terapia previa de desinflamación y ser lo más conservadores con la técnica quirúrgica y el diseño de incisión, en este caso no fue posible mantener la encía queratinizada con el grosor adecuado en el aspecto vestibular de los implantes posteriores. A pesar de la monitorización y seguimiento del caso cada 6 meses, se debería considerar aumentar la banda de encía queratinizada mediante técnicas de cirugía mucogingival. En este caso clínico, tal vez podría parecer que el cantilever distal de ambos lados es exagerado. A pesar de que el cantilever debería ser mínimo, muchas veces las limitaciones anatómicas como la forma de la mandíbula, la altura del reborde alveolar remanente a nivel de premolares y la posición de los orificios mentonianos, dictará la ubicación del implante más distal. Sin embargo, la disposición anteroposterior de los implantes es lo que dicta la longitud de dicha extensión. Es sabido desde tiempos históricos que en la mandíbula es predecible realizar una extensión hasta 1.5 veces más que dicha separación entre implantes. Es más, si hubiera resultado excesivo, el propio software de diseño habría alertado de la imposibilidad de realizar la extensión.

Finalmente, en contra de lo que se pueda pensar, All-on-4® no es un protocolo que “obligue” necesariamente a eliminar hueso o que se deba proporcionar una prótesis fija metal-resina. El concepto

23 eldentistamoderno mayo-junio 2023

caso clínico

de tratamiento All-on-4® demuestra que es posible soportar a largo plazo y con muy buenos porcentajes de supervivencia una prótesis fija de arcada completa sobre 4 implantes sea con la prótesis del material que sea. Sin embargo, las prótesis de metal-resina resultan ser una de las soluciones más estudiadas y más ofrecidas en este tipo de tratamiento. A priori, es una prótesis que no requiere demasiadas exigencias. Es fácil de diseñar, de fabricar y de reparar. A nivel de costes tampoco es un trabajo que resulte económicamente elevado en comparación con otros materiales restauradores. No hay que olvidar tampoco el tipo de paciente que busca esta solución. Pacientes que tal vez no se puedan costear otras opciones de tratamiento que requieran un mayor número de implantes, la realización de injertos o diferentes materiales restauradores. Tal y como se ha mostrado en el paso

Bibliografía

Soto-Penaloza D, Zaragozí-Alonso R, Penarrocha-Diago M, Penarrocha-Diago M. The all-on-four treatment concept: Systematic review. J Clin Exp Dent. 2017 Mar 1;9(3):e474-e488. doi: 10.4317/jced.53613. PMID: 28298995; PMCID: PMC5347302.

Maló P, Rangert B, Nobre M. “All-on-Four” immediate-function concept with Brånemark System implants for completely edentulous mandibles: a retrospective clinical study. Clin Implant Dent Relat Res. 2003;5 Suppl 1:2-9. doi: 10.1111/j.1708-8208.2003.tb00010.x. PMID: 12691645.

Agliardi E, Clericò M, Ciancio P, Massironi D. Immediate loading of full-arch fixed prostheses supported by axial and tilted implants for the treatment of edentulous atrophic mandibles. Quintessence Int. 2010 Apr;41(4):285-93.

PMID: 20305862.

Mericske-Stern R, Worni A. Optimal number of oral implants for fixed reconstructions: a review of the literature. Eur J Oral Implantol. 2014 Summer;7 Suppl 2:S133-53. PMID: 24977248.

Zitzmann NU, Krastl G, Hecker H, Walter C, Waltimo T, Weiger R. Strategic considerations in treatment planning: deciding when to treat, extract, or replace a questionable tooth. J Prosthet Dent. 2010 Aug;104(2):80-91. doi: 10.1016/ S0022-3913(10)60096-0. PMID: 20654764.

Tonetti MS, Greenwell H, Kornman KS. Staging and grading of periodontitis: Framework and proposal of a new classification and case definition. J Periodontol. 2018 Jun;89 Suppl 1:S159-S172. doi: 10.1002/JPER.18-0006. Erratum in: J Periodontol. 2018 Dec;89(12):1475. PMID: 29926952. Chee W, Jivraj S. Treatment planning of the edentulous mandible. Br Dent J. 2006 Sep 23;201(6):337-47. doi: 10.1038/sj.bdj.4814041. PMID: 16990883.

Gallucci GO, Morton D, Weber HP. Loading protocols for dental implants in edentulous patients. Int J Oral Maxillofac

a paso, los requisitos de emergencia de este tipo concreto de prótesis, la forma convexa o plana de la zona basal, el contacto con el tejido, el grosor de la barra, la resina y los dientes de dentadura, llevan a la demanda de crear o proporcionar espacio en sentido vertical y todo conduce a la reducción ósea como necesidad restauradora.

Conclusiones

A pesar de lo simple del concepto, All-on-4® es un protocolo de rehabilitación completa y, como tal, exige el conocimiento de distintas áreas como la anatomía, la periodoncia, la cirugía e implantología, así como la oclusión y biomecánica, la prostodoncia y la estética dental. Para lograr resultados predecibles, es necesario comprender el porqué de cada paso y ser estrictos a la hora de ejecutar el protocolo original.

Implants. 2009;24 Suppl:132-46. PMID: 19885441. Bidra AS. Three-dimensional esthetic analysis in treatment planning for implant-supported fixed prosthesis in the edentulous maxilla: review of the esthetics literature. J Esthet Restor Dent. 2011 Aug;23(4):219-36. doi: 10.1111/j.1708-8240.2011.00428.x. Epub 2011 May 12. PMID: 21806753.

Bidra AS. Surgical and prosthodontic consequences of inadequate treatment planning for fixed implant-supported prosthesis in the edentulous mandible. J Oral Maxillofac Surg. 2010 Oct;68(10):2528-36. doi: 10.1016/j. joms.2010.05.054. Epub 2010 Jul 31. PMID: 20674123.

Jensen OT, Adams MW, Cottam JR, Parel SM, Phillips WR 3rd. The all on 4 shelf: mandible. J Oral Maxillofac Surg. 2011 Jan;69(1):175-81. doi: 10.1016/j.joms.2010.06.207. Epub 2010 Nov 4. PMID: 21055862.

Gallucci GO, Bernard JP, Bertosa M, Belser UC. Immediate loading with fixed screw-retained provisional restorations in edentulous jaws: the pickup technique. Int J Oral Maxillofac Implants. 2004 Jul-Aug;19(4):524-33. PMID: 15346749. Brunski JB. Biomechanical aspects of the optimal number of implants to carry a cross-arch full restoration. Eur J Oral Implantol. 2014 Summer;7 Suppl 2:S111-31. PMID: 24977245.

Bidra AS. Technique for systematic bone reduction for fixed implant-supported prosthesis in the edentulous maxilla. J Prosthet Dent. 2015 Jun;113(6):520-3. doi: 10.1016/j. prosdent.2015.01.011. Epub 2015 Mar 24. PMID: 25819356.

Carpentieri J, Greenstein G, Cavallaro J. Hierarchy of restorative space required for different types of dental implant prostheses. J Am Dent Assoc. 2019 Aug;150(8):695-706. doi: 10.1016/j.adaj.2019.04.015. PMID: 31352966.

Drago C, Howell K. Concepts for designing and fabricating metal implant frameworks for hybrid implant

prostheses. J Prosthodont. 2012 Jul;21(5):413-24. doi: 10.1111/j.1532-849X.2012.00835.x. Epub 2012 Mar 13. PMID: 22413997.

Abduo J, Bennani V, Waddell N, Lyons K, Swain M. Assessing the fit of implant fixed prostheses: a critical review. Int J Oral Maxillofac Implants. 2010 May-Jun;25(3):506-15. PMID: 20556249.

Kan JY, Rungcharassaeng K, Bohsali K, Goodacre CJ, Lang BR. Clinical methods for evaluating implant framework fit. J Prosthet Dent. 1999 Jan;81(1):7-13. doi: 10.1016/ s0022-3913(99)70229-5. PMID: 9878969.

Gross MD. Occlusion in implant dentistry. A review of the literature of prosthetic determinants and current concepts. Aust Dent J. 2008 Jun;53 Suppl 1:S60-8. doi: 10.1111/j.1834-7819.2008.00043.x. PMID: 18498587.

Law C, Bennani V, Lyons K, Swain M. Mandibular flexure and its significance on implant fixed prostheses: a review. J Prosthodont. 2012 Apr;21(3):219-24. doi: 10.1111/j.1532-849X.2011.00798.x. Epub 2011 Nov 1. PMID: 22044758.

Bryant SR, MacDonald-Jankowski D, Kim K. Does the type of implant prosthesis affect outcomes for the completely edentulous arch? Int J Oral Maxillofac Implants. 2007;22 Suppl:117-39. Erratum in: Int J Oral Maxillofac Implants. 2008 Jan-Feb;23(1):56. PMID: 18437794.

English CE. Critical A-P spread. Implant Soc. 1990 MarApr;1(1):2-3. PMID: 2073515.

Romanos GE, Gupta B, Eckert SE. Distal cantilevers and implant dentistry. Int J Oral Maxillofac Implants. 2012 SepOct;27(5):1131-6. PMID: 23057026.

Davis DM, Packer ME, Watson RM. Maintenance requirements of implant-supported fixed prostheses opposed by implant-supported fixed prostheses, natural teeth, or complete dentures: a 5-year retrospective study. Int J Prosthodont. 2003 Sep-Oct;16(5):521-3. PMID: 14651238.

24 eldentistamoderno mayo-junio 2023 IMPLANTOLOGÍA Y REHABILITACIÓN ORAL

SUPERFICIES

Lleva el tratamiento de edentulismo a otro nivel con la sinergia de las superficies: implantes TiUltraTM y pilares XealTM Descarga el e-book GRATUITO Cómo empezar con el concepto de tratamiento All-on-4® (incluye curso online)

25 eldentistamoderno mayo-junio 2023 GMT 81317 ES © Nobel Biocare Services AG, 2022. Reservados todos los derechos. Nobel Biocare, el logotipo de Nobel Biocare y todas las demás marcas comerciales son, a menos que se especi�ique lo contrario o se deduzca claramente del contexto en algún caso, marcas comerciales de Nobel Biocare. Para obtener más información, visita nobelbiocare.com/trademarks. Las imágenes de los productos no están necesariamente reproducidas a escala. Todas las imágenes de producto solo están destinadas a servir como ilustración y pueden no ser una representación exacta del producto. Exención de responsabilidad: Puede que no se permita poner a la venta algunos productos en algunos países según la normativa. Contacta con la subsidiaria local de Nobel Biocare para conocer la gama de productos actual y su disponibilidad. Consultar la información completa sobre prescripción en las Instrucciones de uso, incluidas las indicaciones, contraindicaciones, advertencias y precauciones. nobelbiocare.com/es-es
la belleza de una sonrisa en un día con el concepto de tratamiento
Restaura
All-on-4®
Más de 250.000 pacientes* tratados con éxito
*Nobel Biocare (Datos de archivo)
Prótesis �ija de arcada completa sobre cuatro implantes

jóvenes talentos

“LAS

INSTITUCIONES DEBEN OPTAR POR SEGUIR UNA DINÁMICA DE ENSEÑANZA BASADA EN LA EVIDENCIA CIENTÍFICA Y EL RIGOR”

Especialista en Periodoncia e Implantología, el Dr. Alberto Monje ha sido reconocido por la plataforma ExpertScape como uno de los 35 mayores expertos en Implantología a nivel mundial por sus aportaciones, siendo además el investigador más joven del mundo en esta área. A lo largo de esta entrevista, el Dr. Monje nos explica cómo el carácter interdisciplinar de la Periodoncia le llevó a especializarse en esta disciplina y los motivos que le llevaron a formarse en dicha especialidad en Estados Unidos y Suiza.

ENTREVISTA 26 eldentistamoderno mayo-junio 2023
Dr. Alberto Monje, especialista en Periodoncia e Implantología

 DM.- Recientemente ha sido usted reconocido por la plataforma ExpertScape como uno de los 35 mayores expertos en Implantología a nivel mundial por sus aportaciones, siendo además el investigador más joven del mundo en esta área. ¿Qué supone para usted alcanzar este logro?

Dr. Alberto Monje (Dr. A.M.).- Detrás de cada reconocimiento, hay un enorme componente de trabajo en equipo. En este sentido, por supuesto que es gratificante ver mi nombre en esta prestigiosa lista. Sin embargo, lo que realmente extraigo de la misma es la transferencia clínica que nuestros trabajos aportan a la disciplina odontológica para otorgar mayor predictibilidad en los tratamientos a los pacientes.

 DM.- La periodoncia y la terapéutica de implantes han centrado su formación. ¿Qué le llevó a especializarse en estas disciplinas? ¿Qué figuras o expertos le han servido de inspiración?

Dr. A.M.- Destacaría el componente interdisciplinar de la Periodoncia. Es muy gratificante poder satisfacer al paciente desde una perspectiva que abarque el tratamiento de una patología inflamatoria como es la periodontitis, hasta poder proveer estética en escenarios que lo demanden, a través por ejemplo de intervenciones de cirugía muco-gingival o terapéutica de implantes. Dentro de estas disciplinas, he agudizado especialmente en el área de la peri-implantitis. Es sabido que en España la prevalencia de esta patología es aproximadamente el 20%. Por lo tanto, éste se corresponde con un área de especial interés en investigación y en el área clínica para poder ofrecer una solución a este tipo de complicaciones. Con respecto a los referentes, destacar que al terminar los estudios de Odontología, el impulso para descubrir esta fascinante área me lo otorgó el Dr. Pablo Galindo quien me tendió la mano desinteresadamente, lo cual aproveché para entender el fundamento de estas disciplinas en Estados Unidos, donde poco tiempo después comencé mis estudios en Periodoncia en la Universidad de Michigan. Ahí conocí a quienes serían mis mentores: el Dr. Will Giannobile y el Dr. Hom-Lay Wang. Posteriormente, pude reforzar aptitudes y conocimientos en Berna (Suiza) de la mano del Dr. Daniel Buser. Creo que los valores que me inspiraron mis mentores son los que han marcado mi vida profesional y, cómo no, mi madurez personal. El sacrificio en el trabajo, la honradez, el rigor, la disciplina y la humildad para aprender son los principios básicos que intento transmitir a quienes me rodean y a los que quieren aprender de mi trabajo.

 DM.- Su formación especializada la recibió en la Universidad de Michigan (EE.UU.) y en la Universidad de Berna (Suiza). ¿Por qué se decidió a cursar sus posgrados en el extranjero?

Dr. A.M.- A pesar del excelente nivel de las universidades europeas, la formación en Estados Unidos aporta elementos fundamentales, como por ejemplo el manejo del tiempo y la disciplina. La Facultad de Odontología de la Universidad de Michigan ha sido reconocida como la número 1 del mundo de acuerdo a numerosas clasificaciones. Sumado a ello, el departamento ha sido concebido a nivel histórico y también contemporáneamente como uno de los referentes de la Periodoncia a nivel mundial. Es por ello que estaba convencido que esta institución me aportaría los pilares para conseguir la excelencia y el liderazgo.

27 eldentistamoderno mayo-junio 2023
El sacrificio en el trabajo, la honradez, el rigor, la disciplina y la humildad para aprender son los principios básicos que intento transmitir a quienes me rodean y a los que quieren aprender de mi trabajo

jóvenes talentos

instituciones sólidas y estables serán aquellas que promuevan crear conocimiento, divulgarlo y, por lo tanto, fortalecer el saber científico; ése es el propósito de las universidades.

Sumado a ello, tenemos la gran fortuna en nuestro país de contar con sociedades científicas como SEPA (Sociedad Española de Periodoncia y Osteointegración), cuyo propósito es cohesionar la ciencia y la clínica fomentando la cooperación entre centros formativos y facilitar a los docentes guías clínicas actualizadas para la prevención y tratamiento de patologías periodontales y peri-implantares.

 DM.- ¿Qué consejos le daría a los actuales estudiantes de Odontología o aquellos que se acaban de introducir en el mundo laboral?

Dr. A.M.- Hay que estar en constante actualización. Además, es imprescindible que se formen profesionales humildes y perseverantes en el aprendizaje, con un enorme afán de mejora. También creo que debe haber una firme interacción con las sociedades científicas, para que encuentren el estímulo necesario en el ejercicio de la Odontología.

 DM.- Como especialista en Periodoncia e Implantología, ¿qué momento están viviendo, en su opinión, cada una de estas disciplinas en España? ¿Hacia dónde se dirige su futuro gracias a los avances logrados a través de la investigación y la tecnología?

Dr. A.M.- Actualmente, España es líder en muchas disciplinas odontológicas y hay un enorme potencial en las generaciones venideras. En el área de la Periodoncia, sin ir más lejos, hay innumerables líderes de opinión en España que, a través de sus actividades clínicas y científicas, contribuyen a la mejor praxis de nuestra disciplina.

 DM.- Teniendo en cuenta su experiencia como profesor asociado de la Universidad Internacional de Cataluña, la Universidad de Michigan y la Universidad de Berna, ¿cuál diría usted que es el nivel de la formación odontológica en España respecto a otros países?

Dr. A.M.- La formación en Periodoncia y terapéutica de implantes que se imparte en España es, en general, de buen nivel. Sin embargo, las instituciones deben optar por seguir una dinámica de enseñanza basada en la evidencia científica y el rigor. Las

 DM.- Es usted miembro activo de sociedades científicas internacionales en Periodoncia e Implantología. ¿Qué le aporta a nivel profesional su pertenencia a las mismas? ¿Qué importancia tiene la colaboración para el desarrollo de la profesión?

Dr. A.M.- Una sociedad científica es una herramienta eficaz para la evolución de una disciplina concreta y constituye una oportunidad para compartir conocimiento, aportarlo y difundirlo.

En España, por ejemplo, juega un papel fundamental la SEPA, que es una entidad de referencia a nivel internacional y de la que tengo el honor de ser miembro de la Junta Directiva. 

ENTREVISTA 28 eldentistamoderno mayo-junio 2023
Hay que estar en constante actualización. Además, es imprescindible que se formen profesionales humildes y perseverantes en el aprendizaje, con un enorme afán de mejora
¡Póngase en contacto hoy para concertar una demostración! * Pruebas in vitro realizadas en un modelo con la configuración de ordenador recomendada. ©2023 Dental Imaging Technologies Corporation; DX00248/Rev A. Todos los derechos reservados. Explore una arcada completa +34 912 684 972-DEXIS DEXIS.com de trabajo con el escáner intraoral DEXIS™ IS 3800W segundos* en tan solo su flujo

“LAS NUEVAS TECNOLOGÍAS

HAN DADO UN VUELCO COMPLETO A LA FORMA DE AFRONTAR NUESTRO DIAGNÓSTICO Y TRATAMIENTO”

Como especialista en Ortodoncia y Ortopedia, el Dr. Eduardo Espinar nos habla sobre la profesión, el momento que vive la Ortodoncia como especialidad, la importancia de la formación y el futuro que le depara a dicha especialidad, marcado por las nuevas tecnologías y la necesidad de regular las especialidades en el campo de la Odontología.

“L a capacidad de cambiar la calidad de vida del paciente mediante la mejora de sus dientes y sonrisa”. Esto es lo que más le apasiona de su profesión al Dr. Eduardo Espinar, especialista en Ortodoncia y Ortopedia, y para quien lo más importante de su trabajo como ortodoncista,

en su faceta clínica, es “la atención al paciente con honestidad y darle todo lo que necesite para corregir y mejorar su salud bucodental”. En este sentido, añade que “hay que huir del marketing comercial impuesto y dedicar el tiempo necesario al paciente, siguiendo unas normas deontológicas correctas”.

30 eldentistamoderno mayo-junio 2023 ORTODONCIA
opinión
Dr. Eduardo Espinar, especialista en Ortodoncia y Ortopedia

Una nueva forma de abordar diagnóstico y tratamiento Acerca del momento actual de la Ortodoncia en relación con los últimos avances y las nuevas tecnologías, el Dr. Espinar asegura que “las nuevas tecnologías han dado un vuelco completo a la forma de afrontar nuestro diagnóstico y tratamiento”. Con su incorporación, la práctica clínica y el abordaje de los tratamientos se han transformado “reduciendo muchas de las mecánicas habituales (como, por ejemplo, la toma de impresiones, etc.) y permitiendo así realizar un flujo mucho más rápido para la planificación y realización del tratamiento”.

En el marco de SEdO Bilbao 2023, que se celebrará del 7 al 10 de junio en Bilbao, el Dr. Espinar participará con una ponencia titulada “Tratamiento quirúrgico de la clase II. ¿Es estable a largo plazo?”. A lo largo de esta exposición, el Dr. Espinar hará referencia a que “la clase II con necesidad de tratamiento quirúrgico es una alternativa en las severas maloclusiones; haremos un recorrido por aquello que ocurre a largo plazo con esos tratamientos”, destacando la estabilidad a largo plazo de este tipo de tratamientos. El objetivo de la próxima edición del Congreso de SEdO será potenciar la interacción de la Ortodoncia con el resto de especialidades odontológicas. Teniendo en cuenta la importancia de la interdisciplinariedad para el éxito en el tratamiento del paciente, el Dr. Espinar apunta que “hoy en día mu-

chos pacientes, sobre todo adultos, requieren este tipo de atención, pues no sólo es la ortodoncia, sino el resto de las especialidades las que se implican en una actuación coordinada para realizar un tratamiento conjunto para el paciente”.

El futuro de la profesión Además de su práctica clínica, el Dr. Espinar ejerce como profesor titular de Ortodoncia de la Universidad de Sevilla. La formación continuada de los profesionales de la Odontología es, hoy más que nunca, condición indispensable para el desarrollo de la profesión (y sus profesionales); en este sentido, el Dr. Espinar destaca que “la universidad tiene que dar un paso al frente y conseguir una adecuada formación para la mejora del conocimiento y que esto, a su vez, repercuta en la mejor atención a los pacientes”. Sobre la creación de las especialidades en el campo de la Odontología en nuestro país, el Dr. Espinar considera que "también el colectivo odontológico tiene que seguir avanzando y conseguir que se regule la espacialidad como tal. España es el único país de la Unión Europea donde las especialidades odontológicas no están vigentes”. El desbloqueo de la creación de las especialidades en el campo de la Odontología en España resulta fundamental para el futuro de los jóvenes odontólogos y, según el Dr. Espinar, “es imprescindible que la formación que recibe el estudiante de postgrado esté regulada y se consiga que sea de calidad”. Respecto al futuro de la especialidad de Ortodoncia en nuestro país, el Dr. Espinar asegura que “el futuro de la Ortodoncia está ligado a la adecuada formación de los postgrados. Espero que la aparición de la especialidad venga a regular definitivamente cuál debe de ser esa formación”. 

31 eldentistamoderno mayo-junio 2023
La Dra. Susana Palma y el Dr. Eduardo Espinar. Los Drs. Manuel Román, Eduardo Espinar y Juan Carlos Pérez Varela.

caso clínico

CIRUGÍA DE IMPLANTES APOYADA EN EL USO DEL MICROSCOPIO: ANÁLISIS CRÍTICO Y APLICACIÓN PRÁCTICA

El microscopio quirúrgico es una herramienta que permite aumentar la precisión de las intervenciones quirúrgicas y reducir su invasividad, al magnificar el campo quirúrgico, mejorar su iluminación y permitir el uso de instrumentos más pequeños y precisos, lo que permite optimizar la cicatrización posquirúrgica. Sin embargo, su implementación práctica exige una adecuada curva de aprendizaje, una organización específica del quirófano y de la ergonomía tanto del cirujano como de su ayudante, que permita una adecuada visión tridimensional, tanto en la colocación de los implantes como en los procedimientos reconstructivos asociados. El objetivo de este artículo es realizar un análisis crítico sobre el uso del microscopio quirúrgico en la cirugía de implantes, describiendo su aplicación en la clínica diaria y presentando distintos escenarios en los que la aplicación de técnicas microquirúrgicas con el apoyo del microscopio puede mejorar los resultados clínicos.

Introducción

El microscopio quirúrgico se compone de tres elementos característicos: 1) una fuente de luz interna, coaxial, que proporciona una iluminación potente y sin sombras; 2) una amplia gama de magnificaciones regulables; y, 3) un sistema de brazos, rótulas y binoculares inclinables que permiten la posibilidad de trabajar con visión indirecta del campo quirúrgico, sin cambiar la posición postural del cirujano, lo que permite una óptima ergonomía operatoria. El efecto combinado de estas tres características permite mejorar la agudeza visual y al mismo tiempo mantener una óptima posición de trabajo para llevar a cabo procedimientos de alta precisión, incluso en zonas intrabucales de difícil acceso. Existe evidencia de que estas características mejoran la capacidad del cirujano para percibir detalles visuales cuando se comparan con el uso de lupas galileanas, keplerianas o con la visión natural (Perrin y cols. 2016). Además, el mantenimiento de una posición de trabajo ideal, con eje visual alineado con el infinito, o sea, con oculares paralelos entre ellos que no requieren ninguna convergencia ni acomodación, permite un mayor confort del operador, con una menor fatiga (Sitbon y cols. 2014).

La implementación del microscopio, junto al uso de instrumental microquirúrgico y la aplicación de

técnicas mínimamente invasivas, se ha asociado a unos mejores resultados en diferentes áreas de la medicina, tanto dentro (Karapinar-Kazandag y cols. 2010; Burkhardt y Lang 2005) como fuera del ámbito odontológico (Freidberg y Walsh 1976; Al-Shammari y Gupta 2001).

El avance tecnológico en los microscopios quirúrgicos permite tener en la actualidad aparatología más potente y de uso más sencillo, que provee una documentación fotográfica y videográfica en tiempo real de los procedimientos quirúrgicos, lo que posibilita una comunicación más eficaz tanto con los pacientes como con otros profesionales, y facilita la adquisición de una completa documentación clínica con fines educativos o médico-legales. Sin embargo, a pesar de estas aparentes ventajas, el uso del microscopio quirúrgico no está ampliamente extendido en odontología, salvo en aquellas disciplinas como la endodoncia, en las que el campo operatorio tiene un tamaño reducido, y que no requieren un constante cambio de angulación (vestibular/palatina/oclusal) en la visualización del campo a lo largo del procedimiento (Kersten y cols. 2008). Una encuesta realizada en los años 2016-2017 reveló que el 63,11% de los odontólogos generales españoles no había utilizado nunca un microscopio

CIRUGÍA DE IMPLANTES 32 eldentistamoderno mayo-junio 2023
Artículo cedido por

SEPA-DM

y que solo el 9,8% tenía uno accesible en su consulta (Vega y Antoranz 2022). Por ello, el objetivo de este artículo de revisión es presentar la experiencia de los autores en el uso del microscopio quirúrgico en la terapéutica con implantes dentales, así como en las intervenciones regenerativas asociadas. Se expondrán tanto las estrategias para optimizar el flujo de trabajo quirúrgico con el microscopio como la descripción de los procedimientos donde esta herramienta es más útil.

Ergonomía de trabajo

Las enfermedades musculoesqueléticas son de frecuente aparición en la profesión odontológica. De hecho, el 81% de los profesionales de la odontología refiere dolor de espalda, cuello, hombros o brazos (Valachi y Valachi 2003). Este hecho se ha relacionado con una postura estática durante largo tiempo en la que más del 50 % de la musculatura corporal se mantiene en estado de contracción para compensar la fuerza de la gravedad (Valachi y Valachi 2003). Sin embargo, el uso del microscopio quirúrgico, sobre todo si se combina con el uso de una silla microquirúrgica que proporcione un apoyo móvil para los antebrazos, permite una posición de trabajo estable y neutra que disminuye el estrés muscular y limita la movilidad de las articulaciones hasta un 50% de su rango máximo de movimiento (Partido 2017) (Figuras 1 y 2).

DDS, MSC, MDS, candidato a PhD 2023, especialista en periodoncia e implantología EFP. Departamento de Periodoncia, Facultad de Odontología, Universidad Complutense de Madrid, España.

MD, DDS, Dr. Med. diplomado en Estadística aplicada a la investigación biomédica; profesor titular de Periodoncia, Universidad de Oviedo; director del Máster en Cirugía Periodontal e Implantológica, Universidad de Oviedo.

En particular, la posibilidad de mantener constantemente apoyados los antebrazos o la articulación del codo permite una mayor estabilidad de la mano y de la articulación de la muñeca, lo que disminuye el cansancio muscular durante intervenciones complejas en las que se emplean enfoques microquirúrgicos (Ohta y Kuroiwa 2000). Los microscopios quirúrgicos permiten además proyectar mediante señal de video el campo operatorio a una pantalla externa, lo que facilita la po-

MD, DDS, Dr. Odont., catedrático de Periodoncia, Universidad Complutense de Madrid; director del Grupo de Investigación ETEP (Etiología y Terapéutica de las Enfermedades Periodontales y Periimplantarias), Universidad Complutense de Madrid. Profesor tipo II de la Facultad de Odontología, Universidad de Oslo (Noruega).

33 eldentistamoderno mayo-junio 2023
David Palombo Alberto Sicilia Mariano Sanz Figura 1. a) Representación de una postura ergonómica ideal (Partido 2017); b) Reproducción en el ámbito clínico. a) b)

caso clínico

sición de trabajo no solo del cirujano sino de los operadores auxiliares, que pueden mantener una postura recta y muscularmente relajada, al obtener la misma visión del cirujano en tiempo real, lo que permite mejorar su participación durante el procedimiento quirúrgico y así, realizando un verdadero trabajo a cuatro manos, anticipar las necesidades del cirujano (Bud y cols. 2021).

Con este objetivo se recomienda colocar una pantalla posicionada a las 9-10 horas con respecto al paciente y otra en posición a las 2-3 horas, lo que facilita al cirujano controlar la señal de video que se está grabando y permite tanto al primer como al segundo auxiliar una visión directa en una de las

dos pantallas (Figura 3). La necesidad de mantener la asepsia del campo quirúrgico exige que tanto el microscopio como los apoyabrazos de la silla microquirúrgica estén revestidos por material estéril, que puede consistir en protectores puntuales de lo que el cirujano toca (manetas, botonería y mandos), o sistemas de embolsado total de la unidad (Figuras 2 y 3).

Colocación de implantes y su visión tridimensional Es indispensable para una correcta colocación de los implantes dentales una visión tridimensional del campo quirúrgico, que permita la preparación del lecho implantario y la inserción del implante en una posición óptima desde el punto de vista de la restauración protésica (Chiapasco-Casentini 2018). Este hecho se ha presentado frecuentemente como una limitación en el uso del microscopio quirúrgico en procedimientos de colocación de implantes (Vega y Antoranz 2022), y sigue siéndolo en aquellos casos que requieren una amplia visión tridimensional, como las rehabilitaciones de arcada completa. Sin embargo, estas dificultades se pueden superar con un entrenamiento específico sobre el uso del microscopio, tanto en modelos in vitro como en modelos in vivo, y una adecuada curva de aprendizaje, que permita al operador acostumbrarse a una visión indirecta sin perder la percepción tridimensional. A ese respecto, la optimización de la ergonomía de trabajo y la coordinación del equipo quirúrgico según los principios

DE IMPLANTES 34 eldentistamoderno mayo-junio 2023
CIRUGÍA
Figura 2. a) Silla microquirúrgica con apoyabrazos; b) Aplicación clínica: mantenimiento de un apoyo constante del codo durante de la cirugía. Figura 3. Organización del quirófano optimizada para el uso del microscopio. Se notan las pantallas conectadas al microscopio y colocadas a las 9 y 3 horas con respecto al paciente, que permiten a los auxiliares una visión directa del campo visualizado por el cirujano. a) b)

expuestos en el párrafo anterior facilitan el uso del microscopio quirúrgico y compensan eficazmente el uso de esta tecnología.

Además, el uso de espejos intraorales colocados en posiciones estratégicas permite al cirujano una visión completa a través del microscopio, tanto directa en la vista vestibular como indirecta en la lingual o palatina, lo que mejora la percepción tridimensional durante la creación del lecho implantario y la colocación del implante (Figuras 4a y 4b).

Identificación de estructuras anatómicas

El uso de altas magnificaciones y de una fuente de luz coaxial facilita la identificación de estructuras anatómicas relevantes durante la cirugía de colocación de implantes dentales al incrementar la agudeza visual. Por ejemplo, la identificación de la arteria alvéolo-antral durante una intervención de elevación abierta del seno maxilar (Figura 5), la identificación de ramas del nervio mentoniano durante la liberación de un colgajo vestibular en la mandíbula posterior (Figura 6), o la identificación de fenestraciones del suelo del seno maxilar durante cirugías de implantes, extracciones o cirugías apicales (Figuras 7a y 7b).

Cirugías mínimamente invasivas o de alta complejidad

Un mayor confort asociado a una postura más ergonómica, junto con el incremento de la agudeza visual, facilitan la realización de procedimientos con una menor invasividad, al realizar accesos más reducidos, más delicados y de más alta complejidad. En una cirugía de elevación de seno abierta, el microscopio quirúrgico facilita la identificación de la membrana de Schneider durante la osteotomía lateral (Figura 8a), favorece su elevación (Figura 8b) y ayuda en la identificación de la pared palatina del seno una vez elevada la membrana (Figura 8c).

En caso de perforaciones de la membrana, la iluminación y magnificación que proporciona el microscopio favorece tanto su identificación como su manejo de forma conservadora (Figura 9).

También, una mejor agudeza visual favorecida por el uso del microscopio permite procedimientos intrasinusales, como el rescate de implantes dislocados en el seno maxilar (Biglioli y Chiapasco 2014), o la enucleación de lesiones quísticas del seno maxilar (Chiapasco y Palombo 2015) (Figura 10).

En la cirugía de colocación de implantes inmediatos sin elevación de un colgajo mucoperióstico (Blanco y cols. 2010), el uso del microscopio con altas mag-

35 eldentistamoderno mayo-junio 2023
a) b) a) b)
Figura 4. Uso estratégico de espejos intraorales para ofrecer una visión combinada mesio-distal y vestíbulo-palatina durante la preparación del lecho implantario o la colocación del implante. Figura 5. a) Identificación de la arteria alvéolo-antral durante una elevación de seno abierta; b) Visión sagital de la arteria en el CBCT preoperatorio. Figura 6. Identificación de ramas del nervio mentoniano durante la liberación de un colgajo vestibular en un procedimiento de regeneración ósea guiada.

caso clínicoCIRUGÍA

Figura 7. Identificación de una fenestración del suelo del seno maxilar durante una cirugía de exodoncia y regeneración ósea guiada: a) Identificación a media magnificación; b) Evaluación a altas magnificaciones.

Figura 8. a) Identificación de la membrana de Schneider durante la osteotomía lateral en una elevación de seno abierta; b) Elevación de la membrana de Schneider; c) Identificación de la pared palatina del seno una vez elevada la membrana.

Figura 9. a) Identificación de una perforación de la membrana de Schneider; b-d) Cierre de la perforación con sutura reabsorbible de PGA 8/0; e-h) preparación del lecho implantario, relleno del espacio subsinusal y colocación del implante tras el cierre de la perforación.

DE IMPLANTES 36 eldentistamoderno mayo-junio 2023
a) b) a) b) c) a) b) c) d) e) f) g) h)

nificaciones facilita fases críticas de este protocolo como la extracción del diente de forma atraumática (Figura 11), la preparación del lecho implantario, la colocación del implante en la pared palatina del alvéolo (Figura 12), la preparación transradicular del lecho implantario en dientes posteriores (Rebele y cols. 2013), y la provisión de pilares de cicatrización personalizados para obtener un sellado alveolar sin sutura, según el concepto sealing socket abutment (SSA) (Finelle y Lee 2017) (Figura 13).

Además, en casos particulares, una elevada agudeza visual permite asociar a la colocación de implantes inmediatos en molares superiores una elevación transcrestal del seno maxilar, ya que resulta posible visualizar y acceder al suelo del seno desde el fondo del alvéolo (Figura 14).

Finalmente, el uso del microscopio quirúrgico es una gran ayuda en el manejo de los tejidos blandos periimplantarios al permitir la realización de técnicas de cirugía plástica mucogin -

Figura 10. Enucleación de un pseudoquiste mucoso del seno maxilar a través de un microacceso intraoral, conjuntamente a una elevación de seno abierta con colocación simultánea de implantes. a) Creación del microacceso apical a la ventana del seno; b) Acceso al espacio intrasinusal; c-h) Enucleación del pseudoquiste mucoso; i) Pseudoquiste enucleado; j) Elevación del seno maxilar, colocación de implantes simultáneos y relleno del espacio subsinusal.

Figura 11. Extracción atraumática de un resto radicular en posición 1.1. a-c) Elevación del colgajo vestibular e identificación del resto radicular; d-e) Extracción atraumática de la raíz; f) Preservación de la cortical vestibular intacta.

37 eldentistamoderno mayo-junio 2023
a) b) c) d) f) g) h) i) e) j) a) b) c) d) e) f)

caso clínicoCIRUGÍA

a) b) c) d) e) f)

12. Preparación del lecho implantario y colocación del implante en la pared palatina del alvéolo sin elevación del colgajo. a) Visualización del alvéolo posextracción; b-d) Preparación del lecho implantario en la pared palatina del alvéolo; e) Colocación del implante inmediato; f) Evaluación a altos agrandamientos de la posición del hombro implantario en relación a la pared palatina del alvéolo.

13. Colocación de un implante inmediato en posición 1.6 con técnica de preparación transradicular del lecho implantario y sealing socket abutment. a) Situación basal; b) Coronectomía y preparación transradicular del lecho implantario; c-d) Separación radicular y extracción de las raíces; e-f) Colocación del implante en el lecho preparado dentro del septo interradicular; g-h) Provisión del sealing socket abutment personalizado; i-p) Visión oclusal del caso.

eldentistamoderno mayo-junio 2023

DE IMPLANTES 38
Figura Figura a) b) c) d) d) e) f) g) h) i) j) l) m) n) o) p)

gival basadas en el aumento de la agudeza visual y el uso de microinstrumentos y microsuturas (Figura 15), lo que facilita procedimien -

tos de alta precisión, como la desepitelización de injertos gingivales libres y papilas anatómicas (Figura 16).

Figura 14. Colocación de un implante inmediato en posición 2.6 asociada a una elevación transcrestal del seno maxilar. a) Visualización del suelo del seno maxilar al fondo de los alvéolos de las raíces vestibulares, tras la exodoncia del diente; b) Movilización de la membrana de Schneider a través del fondo del alvéolo; c-d) Colocación del implante en el septo interradicular y relleno del alvéolo con xenoinjerto bovino desmineralizado; e-f) CBCT preoperatorio y radiografía periapical posoperatoria.

Figura 15. Uso de microhojas y microsuturas en microcirugía plástica mucogingival. a-b) Uso de microhojas moldeables para la realización de disecciones a espesor parcial; c) Uso de microsutura PGA 8/0 para el cierre de un colgajo pediculado en un procedimiento de reconstrucción alveolar.

39 eldentistamoderno mayo-junio 2023
a) b) c)
e) f) a) b) c)
Figura 16. Uso de altas magnificaciones en la desepitelización de injertos gingivales y de papilas anatómicas en microcirugía plástica mucogingival. a-c) Desepitelización extraoral de un injerto gingival libre; d-f) Desepitelización intraoral de una papila anatómica.
d)

caso clínico

Caso clínico

Se presenta un caso clínico en el que se utilizó el microscopio quirúrgico para la colocación de un implante inmediato en posición 2.4, asociada al tratamiento de una recesión gingival en 2.3 y a un

aumento de tejidos blandos a nivel del implante 2.4 y de la zona de póntico en posición 2.6. Un paciente de 63 años en buen estado de salud general acudió a la clínica del Máster de Periodoncia de la Universidad Complutense de Madrid pidiendo la sustitución de un puente protésico en el segundo cuadrante, con el fin de mejorar la estética de su sonrisa. Tras la exploración clínica y radiográfica, se realizó un diagnóstico de salud periodontal con periodonto reducido, asociada a una prótesis parcial fija con márgenes infiltrados en posiciones 2.4-2.7, a una recesión gingival de clase RT2 de 3 mm a nivel de 2.3, y a un defecto de tejidos duros y blandos de clase II de Seibert en los tramos edéntulos 2.4, en el cual persistía un resto radicular sumergido, y 2.6 (Figuras 17a, 17b y 17c). Un mes después de la sustitución del puente con un provisional, se planificó una intervención quirúrgica con los siguientes objetivos:

a) la extracción de la raíz sumergida de 2.4 y la colocación de un implante inmediato;

b) el incremento de los tejidos blandos vestibulares al implante 2.4;

c) el tratamiento de la recesión gingival en 2.3; y

d) el incremento de los tejidos blandos vestibulares en el póntico 2.6.

Una vez administrada la necesaria anestesia local, se diseñó un colgajo de avance coronal con abordaje lateral y sin incisiones de descarga (Zucchelli y de Sanctis 2000), utilizando el 2.4 como centro de rotación y realizando falsas recesiones en 2.2 y 2.5. Además, en la zona de póntico 2.6 se diseñó una incisión oclusal en la línea ángulo vestibular, para facilitar un incremento horizontal de tejido blando mediante la técnica de la plataforma de tejido conectivo (Zucchelli y cols. 2012) (Figura 18).

Tras elevar un colgajo a espesor parcial-total-parcial, se realizó la exodoncia del resto radicular de 2.4, el legrado quirúrgico del alvéolo y la colocación de un implante inmediato (EV 4,2 x 9 mm, Astra Tech Implant System, Dentsply IH) (Figuras 19 y 20).

A continuación, se tomó un injerto de encía libre (27 x 7 x 1,5 mm) de la mucosa palatina, que se desepitelizó fuera de la boca (Figura 19) y se seccionó en 5 porciones: un injerto de tejido conectivo (ITC) para el diente 2.3, dos ICT (uno horizontal y otro vertical) para el aumento del tejido blando vestibular al implante de 2.4, y dos ITC (también uno horizontal y otro vertical) para el incremento del tejido blando en la zona de póntico 2.6.

CIRUGÍA DE IMPLANTES 40 eldentistamoderno mayo-junio 2023
Figura 17. Cuadro clínico y radiográfico en la primera visita. a) Visión clínica del tercer sextante; b) Serie periapical completa; c) CBCT y planificación digital para la colocación de un implante inmediato en 2.4. a) b) c)
41 eldentistamoderno mayo-junio 2023
b) c)
a)
Figura 18. Dibujo del colgajo en el tercer sextante. a) Visión vestibular y oclusal del tercer sextante tras la remoción del puente protésico; b) Dibujo del colgajo de avance coronal asociado a falsas recesiones en 2.2 y 2.5 y a ITC en 2.3, 2.4 y 2.6; c) Marco de las incisiones según el proyecto quirúrgico. Figura 19. Elevación del colgajo a espesor parcial-total-parcial.
Figura 20. Exodoncia del resto radicular en 2.4. a) Ostectomía perirradicular realizada bajo altas magnificaciones; b-c) Rescate del resto radicular en 2.4. b)
a) c)
Figura 21. a) Preparación del lecho implantario en el alvéolo posextracción; b) Colocación del implante inmediato en 2.4; c) Visión vestibular del sextante tras la colocación del implante inmediato y de un pilar de cicatrización. c)
a)
b) Figura 22. Toma de un injerto gingival libre de 27 x 7 x 1,5 mm desde el paladar izquierdo y su desepitelización extraoral. a-b) Toma del injerto; c-d) Desepitelización del injerto.
a)
b) c) d)

caso clínico

b) c) d) e) f) g) h)

Figura 23. Repartición del injerto en 5 piezas: a) posicionamiento del injerto entero en el lecho receptor; b) separación de dos injertos y su posicionamiento vestibular al implante en 2.4 (un injerto vertical interno más uno horizontal externo) con sutura reabsorbible de PGA 8/0; c) separación del injerto vertical para el sitio 2.6 y del injerto para el diente 2.3; d) prueba de posicionamiento de los 5 injertos en sus sitios; e-f) sutura del injerto vertical al injerto horizontal para el sitio 2.6, realizada con puntos en colchonero horizontal en PGA 8/0; g) estabilización del doble injerto en posición 2.6 con suturas en asa y con puntos apicales anclados al periostio, en PGA 8/0; h) sutura del injerto en 2.3 a la base de las papilas anatómicas con puntos en asa de PGA 8/0.

Tras la oportuna instrumentación de la superficie radicular de 2.3 y la desepitelización de las papilas anatómicas, los injertos fueron suturados con suturas de pequeño calibre (sutura reabsorbible de PGA 8/0; Figuras 23 y 24). Finalmente, el colgajo fue avanzado coronalmente y suturado con puntos suspensorios sueltos utilizando una sutura reabsorbible de PGA 6.0 en las papilas y con puntos en asa a nivel del tramo edéntulo en 2.6 (Figura 25).

Al final de la cirugía, se explicó al paciente que no debía realizar ningún procedimiento mecánico de higiene en la zona hasta la retirada de las suturas y que debía enjuagarse con una solución de clorhexidina 0,12% + CPC 0,05%, dos veces al día durante un minuto, durante un total de 3 semanas. En la revisión a los 14 días, se apreció la cicatrización por primera intención en las papilas y se retiraron las suturas (Figura 26c).

Tres meses tras la cirugía, en el Máster en Prótesis Bucofacial y Oclusión de la Universidad Complutense de Madrid, se realizó la nueva preparación protésica de los pilares en 2.5 y 2.7, y la provisionalización del implante en 2.4 (Figuras 27a y 27b).

Un año tras la cirugía, se finalizó el caso con una corona unitaria en zirconio en el implante en 2.3 y un puente en zirconio en 2.5-2.7. En la imagen se puede apreciar un recubrimiento radicular completo en 2.3, y un adecuado perfil de los tejidos blandos tanto en el implante de 2.4 como en el puente de 2.5-2.7 (Figuras 28 y 29).

CIRUGÍA DE IMPLANTES 42 eldentistamoderno mayo-junio 2023
a)
Figura 24. Visión vestibular del sextante tras la sutura de los 5 injertos. Figura 25. Sutura del colgajo de avance coronal con puntos suspensorios sueltos con sutura reabsorbible de PGA 6.0 en las papilas y con puntos en asa a nivel del tramo edéntulo en 2.6. a) Visión vestibular; b) Visión oclusal.
a) b)
43 eldentistamoderno mayo-junio 2023
Figura 26. Cicatrización a las 2 semanas. a) Visión vestibular; b) Visión oclusal. Figura 27. Cicatrización a los 3 meses. a) Colocación del pilar protésico a nivel del implante en 2.4; b) Colocación de la corona provisional en el implante en 2.4 y del puente provisional en 2.5-2.7 (Dr. Teodoro Vaca Gonzalo, Máster en Prótesis Bucofacial y Oclusión, Universidad Complutense de Madrid). a) b) b) a)

caso clínico

Figura 28. Cicatrización a 1 año de la cirugía, antes de la colocación de la prótesis definitiva. a) Visión vestibular; b) Visión oclusal; c) Detalle del perfil de los tejidos blandos acondicionados por la prótesis provisional, visión vestibular; d) Detalle del perfil de los tejidos blandos acondicionados por la prótesis provisional, visión oclusal.

DE IMPLANTES 44 eldentistamoderno mayo-junio 2023
CIRUGÍA
Figura 29. Visión vestibular y palatina tras la colocación de la prótesis definitiva (Dr. Teodoro Vaca Gonzalo, Máster en Prótesis Bucofacial y Oclusión, Universidad Complutense de Madrid). a) b) a) b) c) d)

Discusión

El objetivo de este artículo es realizar un análisis crítico sobre el uso del microscopio quirúrgico en cirugía de implantes y en los procedimientos reconstructivos asociados, mostrando diferentes escenarios clínicos en los que una mejora de la agudeza visual facilita una mejor ergonomía operatoria y permite procedimientos más precisos y con menor invasividad.

En la actualidad la difusión del microscopio quirúrgico en odontología y en particular en periodoncia sigue siendo limitada, sobre todo por el precio elevado de los microscopios, por su aparente dificultad de manejo, por su necesaria curva de aprendizaje, y porque en este ámbito operatorio la mayoría de los clínicos considera que el microscopio puede ser fácilmente sustituido por lupas (Vega y Antoranz 2022). Sin embargo, hay evidencia de que el microscopio ofrece una superior agudeza visual (Perrin y cols. 2016) y un mayor nivel de precisión evaluado de forma objetiva, mediante test de habilidad visual-espacial (Burkhardt y cols. 2019).

Por otra parte, se ha demostrado que un entrenamiento microquirúrgico con el microscopio, aunque se limite a un solo día de práctica (Ezra y cols. 2009), permite un incremento significativo del desempeño quirúrgico evaluado mediante pruebas objetivas (Objective Structured Assessment of Technical Skill, OSATS) y en diferentes procedimientos microquirúrgicos (Ezra y cols. 2009; Nugent y cols. 2012).

En la experiencia de los autores, el uso del microscopio quirúrgico representa una herramienta eficaz en cirugía de implantes, ya que:

1. Permite elegir el factor de magnificación más apropiado en cada una de las fases del procedimiento quirúrgico, por ejemplo utilizando menores aumentos cuando se requiere un campo visual más amplio, como en la colocación de implantes en una arcada completa, y el uso de mayor magnificación cuando se requiere más precisión, como en la fase de suturas.

2. Aporta una iluminación coaxial que optimiza la agudeza visual incluso con el uso de grandes aumentos, lo que permite abordajes mínimamente invasivos.

3. Y facilita una ergonomía mejorada, que reduce el cansancio muscular y aumenta la precisión del operador en aquellos procedimientos de mayor complejidad (Ohta y Kuroiwa 2000; Partido 2017).

Conclusiones

El microscopio quirúrgico es un instrumento que potencia la magnificación, la iluminación, y la ergonomía operatoria, lo que permite realizar cirugías de implantes, regeneración ósea y reconstrucción de tejidos blandos periimplantarios mediante abordajes microquirúrgicos y de mínima invasión. Su utilización eficaz requiere de un entrenamiento específico del cirujano y de su equipo, así como la adecuación tecnológica de la sala operatoria. 

45 eldentistamoderno mayo-junio 2023
Figura 30. Visión radiográfica a 1 año desde la colocación del implante en 2.4.

caso clínicoCIRUGÍA

RELEVANCIA CLÍNICA

La colocación de implantes y los procedimientos reconstructivos asociados son intervenciones quirúrgicas que requieren precisión y un control óptimo del campo operatorio tanto por el cirujano como por su ayudante. El microscopio quirúrgico se ha incorporado en varios campos de la medicina, siendo en la actualidad un complemento indispensable en muchas intervenciones donde la precisión y el detalle son requeridos para alcanzar los resultados deseados. Su incorporación en la cirugía de implantes dentales y los procedimientos reconstructivos asociados representa una oportunidad para mejorar los resultados al permitir una adecuada magnificación, agudeza visual y precisión, así como una mejora en la ergonomía postural para el cirujano y en la capacidad de documentación.

Resumen

El microscopio quirúrgico es una herramienta que permite aumentar la precisión de las intervenciones quirúrgicas y reducir su invasividad, al magnificar el campo quirúrgico, mejorar su iluminación y permitir el uso de instrumentos más pequeños y precisos, lo que permite optimizar la cicatrización posquirúrgica. Sin embargo, su implementación práctica exige una adecuada curva de aprendizaje, una organización específica del quirófano y de la ergonomía tanto del cirujano como de su ayudante, que permita una adecuada visión tridimensional, tanto en la colocación de los implantes como en los procedimientos reconstructivos asociados. El objetivo de este artículo es realizar un análisis crítico sobre el uso del microscopio quirúrgico en la cirugía de implantes, describiendo su aplicación en la clínica diaria y presentando distintos escenarios en los que la aplicación de técnicas microquirúrgicas con el apoyo del microscopio puede mejorar los resultados clínicos.

Bibliografía

Al-Shammari S, Gupta A. (2001) Revascularization of the digits and palm. Hand Clinics 17, 411-417, VIII. Biglioli F, Chiapasco M. (2014) An easy access to retrieve dental implants displaced into the maxillary sinus: The bony window technique. Clinical Oral Implants Research 25, 1344-1351.

Blanco J, Alves CC, Núñez V, Aracil L, Muñoz F, Ramos I. (2010) Biological width following immediate implant placement in the dog: Flap vs. flapless surgery. Clinical Oral Implants Research 21, 624-631.

Bud M, Jitaru S, Lucaciu O, Korkut B, Dumitrascu-Timis L, Ionescu C, Cimpean S, Delean A. (2021) The advantages of the dental operative microscope in restorative dentistry. Medicine and Pharmacy Reports 94, 22-27.

Burkhardt R, Lang NP. (2005) Coverage of localized gingival recessions: Comparison of micro- and macrosurgical techniques. Journal of Clinical Periodontology 32, 287-293.

Burkhardt R, Hämmerle CHF, Lang NP, Research Group on Oral Soft Tissue Biology & Wound Healing. (2019) How do visual-spatial and psychomotor abilities influence clinical performance in periodontal plastic surgery? Journal of Clinical Periodontology 46, 72-85.

Chiapasco M, Palombo D. (2015) Sinus grafting and simultaneous removal of large antral pseudocysts of the maxillary sinus with a micro-invasive intraoral access. International Journal of Oral and Maxillofacial Surgery 44, 1499-1505.

Chiapasco M, Casentini P. (2018) Horizontal bone-augmentation procedures in implant dentistry: Prosthetically

guided regeneration. Periodontology 2000 77, 213-240.

Ezra DG, Aggarwal R, Michaelides M, Okhravi N, Verma S, Benjamin L, Bloom P, Darzi A, Sullivan P. (2009) Skills acquisition and assessment after a microsurgical skills course for ophthalmology residents. Ophthalmology 116, 257-262.

Finelle G, Lee SJ. (2017) Guided immediate implant placement with wound closure by computer-aided design/computer-assisted manufacture sealing socket abutment: Case report. The International Journal of Oral and Maxillofacial Implants 32, e63-e67.

Freidberg SR, Walsh JW. (1976) Use of microscopic technique in neurosurgery. Surgical Clinics of North America 56, 781-795.

Karapinar-Kazandag M, Basrani BR, Friedman S. (2010) The operating microscope enhances detection and negotiation of accessory mesial canals in mandibular molars. Journal of Endodontics 36, 1289-1294.

Kersten DD, Mines P, Sweet M. (2008) Use of the microscope in endodontics: Results of a questionnaire. Journal of Endodontics 34, 804-807.

Nugent E, Joyce C, Perez-Abadia G, Frank J, Sauerbier M, Neary P, Gallagher AG, Traynor O, Carroll S. (2012) Factors influencing microsurgical skill acquisition during a dedicated training course. Microsurgery 32, 649-656.

Ohta T, Kuroiwa T. (2000) Freely movable armrest for microneurosurgery: Technical note. Neurosurgery 46, 1259-1261.

Partido BB. (2017) Dental hygiene students‘ self-assessment of ergonomics utilizing photography. Journal of Dental Education 81, 1194-1202.

Perrin P, Eichenberger M, Neuhaus KW, Lussi A. (2016) Visual acuity and magnification devices in dentistry. Swiss Dental Journal 126, 222-235.

Rebele SF, Zuhr O, Hürzeler MB. (2013) Pre-extractive interradicular implant bed preparation: Case presentations of a novel approach to immediate implant placement at multirooted molar sites. International Journal of Periodontics & Restorative Dentistry 33, 89-96.

Sitbon Y, Attathom T, St-Georges AJ. (2014) Minimal intervention dentistry II: Part 1. Contribution of the operating microscope to dentistry. British Dental Journal 216, 125-130.

Valachi B, Valachi K. (2003) Mechanisms leading to musculoskeletal disorders in dentistry. The Journal of the American Dental Association 134, 1344-1350.

Vega Romero M, Antoranz Pereda A. (2022) El uso del microscopio en la Odontología actual en España 20162017. Revista del Ilustre Consejo General de Colegios de Odontólogos y Estomatólogos de España 27, 198-207.

Zucchelli G, De Sanctis M. (2000) Treatment of multiple recession-type defects in patients with esthetic demands. Journal of Periodontology 71, 1506-1514.

Zucchelli G, Mazzotti C, Bentivogli V, Mounssif I, Marzadori M, Monaco C. (2012) The connective tissue platform technique for soft tissue augmentation. International Journal of Periodontics & Restorative Dentistry 32, 665-675.

DE IMPLANTES 46 eldentistamoderno mayo-junio 2023
C M Y CM MY CY CMY K
47 eldentistamoderno mayo-junio 2023

caso clínico

ENTREVISTA

• Dra. Clara Esteban, directora médica de DONTE GROUP, y Dra. Esther Charro, directora médica de MAEX

Siguiendo la evolución de la Odontología para el profesional del sector llamado a construir el futuro

ORAL MEDICINE INSIDE

by

“Con el Congreso buscamos crear un punto de encuentro en el sector que permita a los profesionales discutir, debatir e intercambiar ideas acerca de hacia dónde va la Odontología”

• Luis Mallo, presidente de Knotgroup

REPORTAJE

El Hospital Universitario Sanitas la Zarzuela, centro de referencia en innovación tecnológica para tratamientos odontológicos

HEALTH AND TECHNOLOGY SOLUTIONS

by La informática clínica y las nuevas tendencias tecnológicas

49 eldentistamoderno mayo-junio 2023 www.eldentistamoderno.com @DentistaModerno DM El Dentista Moderno eldentistamoderno @eldentistamoderno Siguiendo la evolución de la Odontología para el profesional del sector llamado a construir el futuro

“A TRAVÉS DE DOCTORES QUE SON

REFERENCIA, QUEREMOS QUE MAEX SE CONVIERTA EN LA CABEZA DE LA VANGUARDIA DENTAL Y MAXILOFACIAL EN NUESTRO PAÍS”

Con la vista puesta en contribuir a mejorar la odontología y hacer accesible la salud bucodental a todo el mundo, basándose en la excelencia técnica y la vanguardia de la innovación para así asegurar una máxima calidad en la atención al paciente, desde MAEX trabajan para ser “la máxima referencia del sector”. Así lo asegura la Dra. Esther Charro, directora médica de MAEX, en esta entrevista en la que, junto a la Dra. Clara Esteban, directora médica de DONTE GROUP, nos hablan de sus clínicas y del concepto en el que se basa este proyecto que, gracias a la colaboración de sus doctores, pretende “elevar las buenas prácticas, el conocimiento y la calidad asistencial que ofrecemos”.

entrevista 50 eldentistamoderno mayo-junio2023 ENTREVISTA
Dra. Clara Esteban, directora médica de DONTE GROUP , y Dra. Esther Charro, directora médica de MAEX Dra. Clara Esteban Dra. Esther Charro

 DM.- Hace unos meses, coincidiendo con la presentación de DONTE GROUP, el grupo presentó el informe “Retos del sector bucodental en España”, en el que se destacan cuatro desafíos a los que se enfrenta el sector. ¿Cuáles son esos retos y cómo se pueden afrontar?

Dra. Clara Esteban. El informe, elaborado por DONTE GROUP con la colaboración de la Universidad de Murcia, destaca la existencia de cuatro retos principales en el sector bucodental en España, que son: demostrar el impacto de la salud bucodental en la calidad de vida y concienciar a la ciudadanía de las consecuencias de una mala salud oral, por el enorme impacto que tienen los trastornos bucodentales en nuestra salud global; extender la cobertura de las prestaciones de salud bucodental para paliar las desigualdades en el acceso y cobertura de la población, sobre todo colectivos desfavorecidos y pacientes con necesidades especiales, algo que se puede alcanzar trabajando con la capacidad ya instalada a través de la eficiencia de la colaboración público-privada, lo que daría mayor cobertura a la población; apostar por la innovación para avanzar en la transformación tecnológica del sector, destacando la evolución a nivel diagnóstico y terapéutico y permitiendo una mayor efectividad y seguridad de los nuevos tratamientos odontológicos con respecto a las alternativas terapéuticas preexistentes; y, por último, fortalecer la confianza de los pacientes en los profesionales, fomentando la satisfacción del paciente con la atención previa recibida, la experiencia y la capacitación técnica del profesional.

 DM.- ¿Qué objetivo persiguen las clínicas que integran DONTE GROUP?

Dra. Clara Esteban. DONTE GROUP nace con el propósito firme y genuino de contribuir a mejorar la odontología, haciendo accesible a todo el mundo la salud bucodental y siendo la firma de referencia bucodental en España y en Europa. Con la extensa red de centros y clínicas dentales que integran la compañía, nos adaptamos a las necesidades de cada persona en cada momento de su vida.

 DM.- A la hora de seleccionar clínicas y doctores susceptibles de formar parte de la compañía, ¿qué criterios tienen en cuenta?

Dra. Clara Esteban. Todos nuestros doctores colaboradores cuentan con la formación académica específica del área de la odontología en la que son ex-

pertos y más de 5 años de experiencia en la misma. Además, tienen a su disposición un extenso programa de formación continuada anual y acceso a guías de buenas prácticas asistenciales y protocolos de calidad que se adaptan a su criterio odontológico para garantizar la mejor calidad de nuestros servicios al paciente. Fomentamos, además, que los doctores y doctoras pertenezcan a una sociedad científica de su área de expertise. DONTE GROUP cuenta además con una dirección médica integrada por más de 10 profesionales sanitarios, entre odontólogos y médicos, que dan soporte diario a nuestra red.

siguiendo la evolución de la Odontología 51 eldentistamoderno mayo-junio2023
MAEX es la marca que representa la máxima calidad e innovación del sector y se presenta como un nuevo concepto de calidad médica odontológica que cuida cada detalle del proceso, generando una experiencia donde la innovación es una parte fundamental y el expertise del doctor otra
Dra. Clara Esteban, directora médica de DONTE GROUP

 DM.- ¿Qué es el proyecto MAEX, maestría y excelencia dental?

Dra. Clara Esteban. MAEX es la marca que representa la máxima calidad e innovación del sector y se presenta como un nuevo concepto de calidad médica odontológica que cuida cada detalle del proceso, generando una experiencia donde la innovación es una parte fundamental y el expertise del doctor otra. MAEX surge de la asociación de un grupo selecto de doctores y doctoras de todas las áreas de especialización y ámbito geográfico. Como en cualquier disciplina médica, en Odontología no se disponen de cientos de expertos en una especialidad y MAEX viene a dar servicio a los casos complejos que necesitan de la pericia y experiencia del mejor doctor de cada área de especialidad, además de la innovación tecnológica específica. Todos ellos acreditan excelente reconocimiento en su carrera y una amplia experiencia en cada una de sus áreas de especialidad, respaldados por DONTE GROUP

 DM.- ¿Cuál es el concepto médico odontológico que representa MAEX?

Dra. Esther Charro. MAEX está formada por un grupo de odontólogos y cirujanos maxilofaciales con una dilatada y reputada trayectoria en el sector

bucodental, un conocimiento único y una gran pasión por la práctica de la odontología, que trabajan para ser la máxima referencia del sector. Con ellos, creamos el estado del arte de la disciplina; basándose en la excelencia técnica, se posicionan a la vanguardia de la innovación asegurándonos así la máxima calidad en la atención.

 DM.- ¿Qué beneficios tiene para el paciente la combinación de una odontología integral de calidad con la tecnología más avanzada?

Dra. Clara Esteban. Gracias a la digitalización podemos realizar un diagnóstico mucho más preciso, somos capaces de informar mejor al paciente (fomentando la cercanía entre doctor y paciente); acortamos los tiempos del proceso y las visitas del paciente a clínica; trabajamos en una odontología preventiva; y, sobre todo, realizamos tratamientos mucho más efectivos y predecibles. En definitiva, nos ayuda a simplificar la vida a los pacientes, impulsando una mayor accesibilidad a la salud bucodental y asegurando el éxito del tratamiento.

 DM.- ¿Cuáles son sus objetivos al frente de la Dirección Médica de MAEX?

Dra. Esther Charro. Como directora médica de MAEX participo activamente en la selección tanto de las clínicas como de los doctores que se van incorporando a la marca. Además, velo por la fidelización y alineación con la filosofía del proyecto, de forma que cada clínica y cada doctor mantenga su propia identidad según sus inquietudes y expectativas, pero bajo un mismo paraguas común

52 eldentistamoderno mayo-junio2023 ENTREVISTA
entrevista
“La digitalización nos ayuda a simplificar la vida a los pacientes, impulsando una mayor accesibilidad a la salud bucodental y asegurando el éxito del tratamiento”
Dra. Clara Esteban, directora médica de DONTE GROUP

estratégico y conforme a los valores de la marca. Tenemos la responsabilidad de que la praxis de todos nuestros centros MAEX sea acorde con los estándares de calidad de DONTE GROUP. Para ello, desde la Dirección Médica garantizamos que en todas nuestras clínicas se apliquen los más exigentes protocolos asistenciales y procedimientos de trabajo. De esta manera, nos aseguramos que nuestra prestación sanitaria siempre va a ser eficiente y excelente, y centrada en nuestros pacientes.

 DM.- En cuanto a la formación, ¿cómo trabajan con los doctores en la implementación de la digitalización y las nuevas tecnologías en las clínicas?

Dra. Esther Charro. Una pieza clave es nuestro Comité Médico Asesor, un espacio consultivo donde se debate periódicamente el estado del sector, se valoran las novedades y se alinean las recomendaciones estratégicas a seguir para que la marca MAEX siempre esté a la vanguardia del conocimiento. Nuestra innovación aplica a muchos ámbitos: materiales, técnicas.…, donde cobra especial importancia la digitalización y las nuevas tecnologías emergentes. Somos activos en publicaciones y formaciones y, además, tenemos presencia en los principales encuentros del sector, con el espíritu de que MAEX se comporte como un crisol de conocimientos que una a los líderes del sector, con los compañeros del grupo DONTE y con el resto de profesionales odontólogos y cirujanos maxilofaciales. Nos comprometemos a compartir nuestra producción científica y ensayos clínicos y vamos a desarrollar y elaborar planes formativos en técnicas innovadoras para todos nuestros doctores. Con esta excelencia, MAEX se va a convertir en referente de la vanguardia dental y maxilofacial en nuestro país.

 DM.- ¿Y cómo desarrollan la implementación de la digitalización y las nuevas tecnologías en las clínicas que forman parte de MAEX?

Dra. Esther Charro. En MAEX estamos continuamente implementando las técnicas más innovadoras del sector bucodental: analizando y evaluando nuevos sistemas para elevar la eficiencia en clínica, explorando nuevos materiales, probando los dispositivos médicos más novedosos y mejorando los flujos de trabajo interdisciplinares. Los pilotos en las diferentes clínicas son nuestra herramienta de testeo de toda esta vanguardia. Por tiempo finito, con obje-

tivos claros y medibles, cualitativos y cuantitativos, ponemos en marcha iniciativas pioneras con el espíritu de analizarlas, desarrollarlas e implementarlas en todas nuestras clínicas. En los últimos meses la clínica MAEX Dr. Juan Carlos Pérez Varela ha apostado por la inteligencia artificial para los tratamientos de ortodoncia a través del sistema ScanBox Pro, creado por DentalMonitoring, que permite realizar un seguimiento virtual de los tratamientos y detectar hasta 130 incidencias. Su precisión clínica, la comodidad del paciente y la posibilidad de generar flujos digitales más rápidos y precisos hace que se postule como una herramienta diferenciadora en el sector. Un estudio que está siendo llevado a cabo en 500 pacientes y del que esperamos tener resultados concluyentes después del verano.

siguiendo la evolución de la Odontología 53 eldentistamoderno mayo-junio2023
Tenemos la responsabilidad de que la praxis de todos nuestros centros MAEX sea acorde con los estándares de calidad de DONTE GROUP
Dra. Esther Charro, directora médica de MAEX

 DM.- En este sentido, ¿en qué tipo de tratamientos impacta en mayor medida la digitalización?

¿Cuáles son los beneficios que ofrece al paciente?

Dra. Esther Charro. La medicina y la odontología están implementando cada vez más la digitalización en sus tratamientos. Por ejemplo, la tecnología IA aplicada a la salud bucodental permite que los pacientes realicen un seguimiento de su tratamiento de ortodoncia desde casa -con la supervisión de un doctor 24 horas- y visibilicen su evolución, previniendo posibles incidencias. Estos sistemas permiten optimizar las visitas a la clínica y, gracias a la posibilidad de realizar un escaneo o revisión tantas veces como se necesite de forma digital, es posible hacer correcciones o intervenciones que de otra forma no se diagnosticarían hasta la siguiente visita en gabinete. Asimismo, el sistema ofrece numerosas facilidades a los odontólogos, como anticiparse a la cita con el paciente o gestionar de manera más eficiente las urgencias, aumentando la proactividad en los tratamientos.

 DM.- ¿Qué supone para MAEX la incorporación de clínicas de doctores de referencia como es el caso de los Dres. Pérez Varela, Cuevas Queipo y Pepe Ferreras?

Dra. Esther Charro. Nuestro propósito es crear un espacio donde la clave sea la colaboración de nuestros doctores. De esta manera, queremos elevar las buenas prácticas, el conocimiento y la calidad asistencial que ofrecemos. Cuando estu-

diamos la incorporación de nuevos doctores, en la Dirección Médica nos fijamos en varios aspectos: su calidad asistencial, su recorrido académico, su grado de innovación y, sobre todo, su pasión y espíritu por seguir aprendiendo, innovando y desarrollando las mejores prácticas en el sector. Estamos prospectando profesionales que tienen una dilatada experiencia, mínimo 15 años –y hasta 40 en algunos casos–, y que son reconocidos por su excelente desempeño dentro de nuestro sector. A través de doctores que son referencia en odontología, queremos que MAEX se convierta en la cabeza de la vanguardia dental y maxilofacial en nuestro país.

 DM.- Desde su punto de vista, ¿cómo describiría el futuro de la Odontología en España?

Dra. Clara Esteban. Creo que el futuro de la odontología está en la innovación, la digitalización y la democratización del acceso a la salud bucodental a toda la población. El acceso a la cobertura odontológica pasa, en mi opinión, por el inicio de una colaboración público-privada real, de manera que se permita el acceso al cuidado bucodental de todos los colectivos, especialmente de los más vulnerables y de los colectivos con necesidades especiales. Las compañías del sector bucodental en España, que están preparadas para dar asistencia odontológica a la población, deberán además adaptarse a las necesidades actuales de la ciudadanía y alinear su estrategia con valores ESG, de manera que aseguren un impacto positivo sobre la sociedad.

 DM.- Y a nivel clínico, ¿cuáles diría usted que son los retos del sector bucodental en España? Dra. Esther Charro. Uno de los principales retos es la integración del conocimiento con las tecnologías más punteras para poder dar las mejores soluciones a los casos complejos. La integración de la cirugía maxilofacial y las diferentes especialidades odontológicas en el grupo MAEX, unida al soporte tecnológico que aporta pertenecer al grupo DONTE, nos posibilita este enfoque. De esta manera podremos alcanzar una mayor efectividad y seguridad en los tratamientos.

Nuestro desafío es crear una visión y una actuación integrales, aunando la máxima especialización para poder centrarnos de forma específica en las necesidades de cada paciente y ofrecer así una medicina personalizada, tan en boga en estos momentos en el sector sanitario. 

entrevista 54 eldentistamoderno mayo-junio2023 ENTREVISTA
“ En MAEX estamos continuamente implementando las técnicas más innovadoras del sector
bucodental ”
Dra. Esther Charro, directora médica de MAEX

YA DISPONIBLE EXPADENT APP

Hemos mejorado nuestro sistema de gestión, y ahora cualquiera de nuestros clientes podrán realizar los pedidos directamente desde nuestra aplicación, intuitivamente.

También permite hacer un seguimiento total del proceso de fabricación y de envío del pedido realizado.

siguiendo la evolución de la Odontología 55 eldentistamoderno mayo-junio2023 ENVÍANOS TUS IMPRESIONES DIGITALES: LÍDERES EN LA ELABORACIÓN DE PRÓTESIS DENTALES Corona de zirconio 59,90 € 49,90 € Antes Ahora  +34 910 059 139  info@expadent.com www.expadent.com *Las fotografías de este anuncio corresponden a trabajos realizados en nuestro laboratorio
AHORA QUE
BAJAMOS
TODO SUBE, NOSOTROS
PRECIOS

“CON EL CONGRESO BUSCAMOS CREAR UN PUNTO DE ENCUENTRO EN EL SECTOR QUE PERMITA A LOS PROFESIONALES DISCUTIR, DEBATIR E INTERCAMBIAR IDEAS ACERCA DE HACIA DÓNDE VA LA ODONTOLOGÍA”

A escasas semanas del III Congreso Knotgroup “Los Orígenes” hemos charlado con Luis Mallo, presidente de Knotgroup, para hablar del Congreso, del Grupo Knotgroup, de Odontología, Medicina, futuro y mucho más.

 DM.- Como profesional en el sector de la salud y presidente de Knotgroup, ¿qué valoración hace de la respuesta del sector a la celebración del III Congreso Knotgroup “Los Orígenes”?

Luis Mallo (L.M.).- Para nosotros el Congreso “Los Orígenes” es un Congreso muy especial. Knotgroup es una institución dentro del sector odontológico que siempre, desde su fundación, ha intentado colocar en el centro de todo al paciente y la conexión de la Odontología con la Medicina.

Y por eso, este Congreso para nosotros será un congreso muy importante. Es el tercer Congreso que organiza Knotgroup y hemos intentado darle un enfoque y una personalidad que ponga de manifiesto cuáles son los problemas que hoy tiene el sector y cuáles son los retos a los que se tiene que enfrentar en los próximos años.

La respuesta ha sido muy positiva. Toda la industria, de manera muy comprometida e implicada, participa en el Congreso aportando datos. Cada uno desde su punto de vista, cada uno desde su lugar, aporta ese granito de arena para conseguir que lo

oral medicine inside 56 eldentistamoderno mayo-junio 2023 UN GRUPO DE INNOVACIÓN
Luis Mallo, presidente de Knotgroup

que hagamos en el Congreso sea relevante y finalmente tenga un impacto. Por lo tanto, muy contentos con la respuesta que hemos tenido del Congreso por parte del público, de la industria y de toda la infraestructura odontológica a nivel internacional.

 DM.- ¿Cuáles son los resultados que se pretenden alcanzar con el Congreso?

L.M.- El objetivo del Congreso no es otro que crear un punto de encuentro en el sector que permita a los profesionales discutir, debatir e intercambiar ideas acerca de hacia dónde va la Odontología y hacia dónde pensamos que deberían dirigirse o enfocarse todos los esfuerzos por parte de todos los jugadores dentro de la Industria. No solamente por parte de los profesionales de la Odontología, sino por parte de la Industria, por parte de los generadores de tecnologías que hoy están trabajando el sector.

El objetivo es generar contenidos y alcanzar conclusiones que supongan un verdadero impacto. Impacto en las nuevas generaciones, impacto en nuestra visión de cómo el sector debe evolucionar y, sobre todo, haciendo un análisis crítico sobre las áreas en las que los profesionales de la Odontología deben incidir para mejorar la calidad de su actividad. El objetivo es que los pacientes reciban mejores terapias y mejores diagnósticos para que, finalmente, se puedan resolver de forma más eficaz las patologías que éstos traen diariamente a las clínicas.

 DM.- ¿Qué es lo que marcará la diferencia de este III Congreso Knotgroup “Los Orígenes” respecto a los otros dos anteriores?

L.M.- Cada uno de los congresos que hemos organizado ha tenido siempre una personalidad concreta. Éste es un Congreso que va a ser presencial y esta presencialidad va a dar una personalidad diferencial frente al anterior. El Congreso de 2021, “El Renacimiento”, fue un Congreso pospandemia online que tuvo mucho impacto a nivel internacional y que tenía un formato diferente al que, en este momento, estamos planteando.

Las diferencias más significativas son el lugar de celebración y el foco del contenido científico. Este año se celebra en la ciudad de Vigo y va a estar muy orientado hacia tres áreas temáticas en las que vamos a poner el peso.

La primera de ellas es la conexión de la Odontología con la Medicina. La segunda es el Impacto de la Tecnología en la nueva Odontología que estamos aplicando hoy. La Gestión del Paciente y los Equipos como elementos troncales y cómo la Razón de Ser final de nuestra actividad es el tercer bloque de contenidos.

Ingeniero Industrial especializado en Robótica, Inteligencia Artificial y Automatización de Procesos.

Comenzó su trayectoria profesional en el sector energético, donde puso en marcha proyectos de digitalización, transformando así un sector analógico en un sector digital. Posteriormente, intervino en otros sectores, pero siempre aportando esa capacidad para pasar de procesos tradicionales a procesos digitalizados. Más adelante, desde el Gobierno de Madrid, puso en marcha el proyecto de Atención de Emergencias 112, el Centro de Gestión Integral de referencia mundial, un centro en el que la aplicación de estas nuevas tecnologías transformó completamente el sector.

“Mi vida profesional ha sido una vida de aplicación de la innovación y la tecnología a los sectores en los que he estado y concretamente en los últimos años he estado en el sector Salud en general y en particular el sector Odontológico, donde mi trabajo ha consistido fundamentalmente en ayudar, de alguna manera, a que el sector mejore, aportando esa experiencia y esa carrera profesional que me ha llevado hasta aquí”, explica Luis Mallo.

Contacto: Knotgroup Dental Corporation

www.knotgroupdentalcorporation.com

info@knotgroupdentalcorporation.com

57 eldentistamoderno mayo-junio 2023
El objetivo del Congreso es generar contenidos y alcanzar conclusiones que supongan un verdadero impacto. Impacto en las nuevas generaciones, impacto en nuestra visión de cómo el sector debe evolucionar y en qué debe mejorar con un único foco: el paciente

medicine

 DM.- Por tanto, ¿habrá un espacio para la gestión de clínicas?

L.M.- Claro, uno de los puntos que para nosotros es muy importante es la nueva concepción de la Odontología. Es una Odontología que se está transformando, y cuando hablamos de transformación, siempre hablamos de Tecnología Digital. Siempre pensamos en términos de automatización, de procesos y de incorporación de elementos robóticos a nuestra praxis clínica, pero la realidad es que la transformación es mucho más profunda.

Hoy las clínicas tienen que trabajar como un equipo y, por lo tanto, el rol y el papel que juegan todos los intervinientes en la actividad, el día a día, es absolutamente relevante. Hoy no es posible tener éxito en el sector dental, simplemente con equipos de odontólogos, promotores de la clínica que intentan liderar la actividad. Hoy el éxito es el trabajo en equipo y, por eso, en este Congreso ponemos en valor el rol activo y participativo de los equipos en ese objetivo final que tiene una clínica, que es crear valor para quien finalmente lo recibe, el paciente.

Por lo tanto, el equipo va a tener a lo largo del Congreso de Knotgroup un peso muy importante y va a haber muchas áreas temáticas que van dirigidas específicamente al personal de la clínica que contribuye con su trabajo todos los días a conseguir que ese paciente sea un paciente mejor atendido y satisfecho.

 DM.- En cuanto a la relación entra la Odontología y la Medicina, ¿cómo contribuye la colaboración entre diferentes especialistas a la mejora de resultados?

L.M.- Empiezo por decir que la Odontología es Medicina. Cuando yo hablo de Medicina, hablo de Odontología también. Para nosotros la Odontología es una especialidad específica que trabaja en un área anatómica concreta, pero que está total y absolutamente conectada con el resto de las especialidades. Y, en esta línea, la Medicina está sufriendo una transformación sin precedentes en la Historia. En los últimos diez años, en el Sector Salud se están produciendo unas innovaciones con una velocidad y una aceleración que no ha tenido precedentes en la historia reciente de la Medicina en general. La Medicina se está transformando a una velocidad tremenda. Los ciclos de vida de las terapias y de los equipos que utilizamos para resolver problemas están acortándose y la Medicina, se está haciendo compleja, se está haciendo poliédrica. Por esa razón, necesitamos equipos multidisciplinares con especialistas en distintos campos, capaces de ver al paciente en su totalidad, no al paciente de forma segmentada.

El paciente es como un todo, donde las patologías casi siempre interactúan unas con otras y, por eso, se necesita esa visión integral del paciente para poder aplicar la terapia más precisa y poder resolver el problema que en cada caso nos plantea.

58 eldentistamoderno mayo-junio 2023 UN GRUPO DE INNOVACIÓN
oral
inside
Todo el equipo de la clínica juega un papel relevante en algo que llamamos creación de valor, valor que captura ese paciente que viene a visitarnos

 DM.- ¿Cuál es la hoja de ruta del grupo tras el Congreso para seguir difundiendo y defendiendo la imprescindible relación entre Odontología y Medicina?

L.M.- Knotgroup es un proyecto a largo plazo. Es un proyecto que lo que intenta es, de forma humilde, entender cuáles son las nuevas necesidades de los pacientes y, por lo tanto, ser más eficaces en la aplicación de las soluciones a sus problemas. Es un proyecto que tiene un planteamiento de consistencia en el tiempo, de cómo conseguir estar en los temas importantes, de cómo tener una voz cualificada que pueda ayudar especialmente a las nuevas generaciones de odontólogos a entender hacia dónde la Odontología debería dirigirse para no perder la relevancia que en este caso tiene con respecto al resto de las especialidades médicas y, el cómo, por ejemplo, dar el protagonismo de la actividad de una clínica al equipo en su totalidad y no a partes específicas del equipo. Ese papel de la clínica en su totalidad como elemento de creación de valor, es otro de los puntos fundamentales sobre los que Knotgroup va a venir trabajando en los próximos años. Por supuesto, también la tecnología. Las Clínicas Knotgroup son clínicas que aplican tecnología en prácticamente todas las áreas de actividad y la digitalización está llegando prácticamente a todas las esquinas de la clínica. Ya no sólo al diagnóstico y al tratamiento, sino también al cómo hablamos con los pacientes y cómo conseguimos medir la actividad de la clínica. Siempre a través de tecnologías digitales que nos permiten conseguir información que hace años no era posible tener.

 DM.- Otros de los aspectos que se van a tratar en el Congreso son la innovación, la tecnología y, en concreto, la Realidad Virtual. ¿Qué nos depara el futuro de la Odontología en formación?

L.M.- Tanto la Medicina como la Odontología están incorporando nuevas técnicas y están desarrollándose desde el punto de vista de conocimiento con una aceleración extraordinaria. Esto hace que determinados enfoques terapéuticos se queden obsoletos en un espacio de tiempo corto. Por ello, se exige a los profesionales una permanente actualización en sus conocimientos, tanto clínicos como quirúrgicos. Esa exigencia nos va a llevar a que la formación continuada forme parte del día a día del pro -

fesional a través de herramientas que le van a facilitar poder acceder al conocimiento de forma muy directa y muy sencilla. Nuevas plataformas de contenidos orientadas al aprendizaje de técnicas y procesos clínicos, entre las que me gustaría destacar la Realidad Virtual. Ésta nos sitúa en un escenario en el cual vamos a tener que desarrollar una determinada práctica o protocolo que va a permitir a todos los equipos de la clínica desarrollar nuevas habilidades y áreas de conocimiento.

La formación en este momento a través de las grandes plataformas es ya una realidad, es algo que se ha instalado y que va a ser de enorme ayuda a los profesionales para mejorar su capacitación y, finalmente, a través de su capacitación, mejorar también el servicio que ofrecen a sus pacientes.

 DM.- Para los que todavía no conozcan el grupo, ¿qué es Knotgroup?

L.M.- Knotgroup es una alianza de Clínicas de Autor, Clínicas de Excelencia. Son clínicas en las que la totalidad del equipo atiende con la obsesión de que el paciente reciba el mejor trato. Comparten una visión integral de la atención, donde todos los integrantes del equipo de la clínica se vuelcan en un proyecto que tiene como objetivo dar un servicio de excelencia y calidad. Estas clínicas, además, entienden la Odontología como parte de la Medicina y, por lo tanto, esa conexión con las especialidades médicas forma parte del día a día de la propia clínica donde la tecnología se interpreta como un acelerador de mejores soluciones para el propio tratamiento del paciente.

59 eldentistamoderno mayo-junio 2023
En Knotgroup interpretamos la tecnología como un acelerador de mejores soluciones para el paciente al servicio de la excelencia y la calidad. Soluciones en cuanto a formación, procedimientos, tratamientos clínicos y sistematización de actuaciones

Todos estos conceptos son los que conforman ese perfil de Clínicas de Autor que son Clínicas Knotgroup. Un proyecto en el que estamos abiertos a que se incorporen nuevas voces, en el que las voces sean heterogéneas y distintas y, de ese modo, se enriquezca la visión de un proyecto que lo único que pretende es intentar poner en valor todo lo que la Odontología nos está, en este momento, deparando y todas las posibilidades que esta nueva Odontología nos abre.

Sobre todo para conseguir este objetivo final: los mejores tratamientos para un paciente que es cada vez más exigente y más informado, un paciente que espera cada vez más de nosotros.

 DM.- ¿Cuáles son los objetivos de Knotgroup para este año?

L.M.- Los objetivos para este año son los mismos que hemos venido manteniendo en años anteriores: seguir siendo una voz autorizada dentro del sector y tener capacidad para proyectar sobre el resto de los profesionales la visión de cómo Knotgroup entiende la Odontología conectada con el mundo de la Medicina, así como generar un impacto sobre las nuevas generaciones de odontólogos en el sentido de intentar transmitirles cuáles son los fundamentos que deben actuar de motor a lo largo de toda su carrera profesional.

Y, por supuesto, el permanecer como un grupo abierto, un grupo transparente que pone a disposición del resto de los profesionales del sector las prácticas que dentro de las Clínicas Knotgroup estamos haciendo e incluso estar abierto a la incorporación de nuevas voces que tengan enfoques distintos.

También para intentar con todo ello conformar un grupo cada vez más amplio, cada vez más rico y, sobre todo, cada vez más útil finalmente a los pacientes a los que atiende.

 DM.- ¿Qué le diría a una clínica que está dudando si entrar o no en Knotgroup?

L.M.- Entrar en el proyecto es compartir muchas cosas. Es compartir un concepto de la Odontología, es entender la Odontología en toda su magnitud y conectada, como decía, con el resto de las especialidades médicas. Es entender que todo el equipo de la clínica juega un papel relevante en algo que llamamos creación de valor, valor que captura ese paciente que viene a visitarnos. La ambición por generar un servicio cada vez de más calidad. Un espacio que acoge a clínicas que tienen un estilo concreto de entender la Odontología para crear un ámbito en el cual puedan sentirse más confortables, que puedan sentirse también más respaldadas en sus iniciativas.

 DM.- ¿Cuál es el origen de Knotgroup?

L.M.- Knotgroup nace de la inquietud de una serie de Clínicas de Excelencia, clínicas que destacaban claramente en el sector por su tradición, por la calidad de los profesionales que las integraban y por

oral
inside 60 eldentistamoderno mayo-junio 2023 UN GRUPO DE INNOVACIÓN
medicine
Buscamos generar un impacto sobre las nuevas generaciones de odontólogos en el sentido de intentar transmitirles cuáles son los fundamentos que deben actuar de motor a lo largo de toda su carrera profesional

la inquietud de entender la Odontología como un servicio médico de primer nivel. Una de las líneas fundacionales de Knotgroup es cómo la Odontología forma parte inexorablemente de la Medicina, por lo tanto, está conectada con todas las especialidades médicas.

Estamos asistiendo últimamente a pacientes cada vez más complejos con enfermedades sistémicas y/o genéticas. Esto hace que el paciente sea un paciente más complejo, en el sentido de que es un paciente muchas veces polimedicado, que hace que los tratamientos odontológicos sean tratamientos que tienen que estar mucho mejor enfocados y atendidos.

Ese foco en el paciente es otro de los puntos importantes sobre los que Knotgroup ha venido trabajando desde el principio. También cabe destacar la incorporación de nuevas tecnologías en la actividad de la clínica, orientadas fundamentalmente a que las terapias sean menos invasivas y más eficaces en cuanto al resultado de tratamiento.

Esos tres elementos motores serían los tres conceptos básicos fundacionales de este grupo que llamamos Knotgroup, haciendo alusión a ese término en inglés que es el “nudo”. El permanecer conectados, entroncados, haciendo algo en lo que creemos y que merece la pena.

 DM.- Y, para finalizar, ¿hacia dónde cree usted que se dirige el futuro de la Odontología?

L.M.- La Odontología se dirige exactamente hacia las mismas coordenadas hacia las que se dirige el mundo de la Medicina. La Medicina se está convirtiendo en una Medicina científica, una Medicina muy tecnológica, una Medicina en la que el ciclo de vida de los conocimientos que hoy tenemos es cada vez más corto. Una actividad plural en la que hoy se requieren conocimientos poliédricos que hace años no. Vamos a ser profesionales analíticos, veremos a profesionales de la ingeniería manejando tecnologías complejas, vamos a ver expertos en Inteligencia Artificial, así como en algoritmos, participando en la toma de decisiones acerca de lo que hacemos con los pacientes. Vamos a ver tratamientos mucho más personalizados, mucho más dirigidos hacia la persona, en particular, hacia el genoma específico del individuo. En ese sentido, estamos hablando de una Odontología de precisión, una Odontología que ya Barack Obama, en el año 2015, lanzó dentro del entorno de lo que llamó la Medicina de Precisión, en esa gran comunicación que hizo al mundo lanzando esta iniciativa y que hoy es una realidad. En este momento, los patrones hacia los que se dirige la Medicina y la Odontología son los patrones de la precisión. Precisión derivada del conocimiento del genoma y del conocimiento del modelo de vida del paciente; derivada de la Inteligencia Artificial y del manejo de grandes volúmenes de información aplicados a la solución de problemas relacionados con la salud.

Os esperamos en eI III Congreso Knotgroup “Los Orígenes” el 27 de mayo de 2023. 

www.knotgroupdentalcorporation.com/los-origenes-presencial

61 eldentistamoderno mayo-junio 2023
Una de las líneas fundacionales de Knotgroup es cómo la Odontología forma parte inexorablemente de la Medicina, por lo tanto, está conectada con todas las especialidades médicas ”

EL HOSPITAL UNIVERSITARIO SANITAS LA ZARZUELA, CENTRO DE REFERENCIA EN INNOVACIÓN TECNOLÓGICA PARA TRATAMIENTOS ODONTOLÓGICOS

El Hospital Universitario Sanitas la Zarzuela y su Unidad Odontológica se han convertido en un modelo de referencia para toda la red de Sanitas. La Dra. Manuela Escorial, odontóloga responsable del departamento de Innovación y Calidad Clínica de Sanitas Dental, nos explica cómo gracias a la digitalización y las nuevas tecnologías desde Sanitas Dental están transformando sus procesos asistenciales para ofrecer lo mejor a sus pacientes.

Sanitas continúa apostando por un modelo de salud que integre las infraestructuras hospitalarias y las ventajas de la digitalización. Reflejo de la apuesta por la innovación, la multidisciplinariedad y el expertise de los equipos para ofrecer procedimientos avanzados de última generación es el Hospital Universitario Sanitas la Zarzuela que recientemente ha acogido una intervención con una tecnología innovadora para la colocación de unos implantes dentales.

La cirugía ha sido realizada a través del navegador Brainlab, una tecnología similar a un GPS y que, según nos explica la Dra. Manuela Escorial, odontóloga responsable del departamento de Innovación y Calidad Clínica de Sanitas Dental, “se trata de un equipamiento disponible en el Hospital Universitario Sanitas la Zarzuela para el área de Neurocirugía y que, gracias a la adaptación del software, nos ha permitido utilizar un programa específico para el ámbito maxilofacial, posibilitando así el poder trabajar en el terreno de la implantología”, convirtiendo así al Hospital Universitario Sanitas la Zarzuela en uno de los pioneros en España en la aplicación de esta tecnología en el campo de la implantología.

Exactitud y seguridad en la intervención

Para la operación, el equipo multidisciplinar de Sanitas ha utilizado el navegador Brainlab que, gracias a una tecnología similar a un GPS, permite

reportaje 62 eldentistamoderno mayo-junio 2023 HOSPITAL UNIVERSITARIO SANITAS LA ZARZUELA
Dra. Manuela Escorial, odontóloga y responsable del departamento de Innovación y Calidad Clínica de Sanitas Dental.

una colocación óptima, segura y totalmente guiada del implante. Hasta el momento, este tipo de procedimientos se basaban en un diseño digital previo de la cirugía, pero la introducción de la navegación dinámica permite que esta simulación se convierta en una realidad. La Dra. Escorial destaca que “si bien nosotros ya utilizamos una planificación quirúrgica guiada, la ventaja de la implementación del neuronavegador Brainlab es que aporta una fiabilidad y predictibilidad totales, porque en tiempo real sabemos dónde estamos trabajando y dónde queremos posicionar nuestros implantes de una manera totalmente controlada y exacta”. En concreto, se trata de implantes cigomáticos mediante este singular sistema de neuronavegación, los cuales son utilizados normalmente en situaciones donde el paciente no dispone de hueso suficiente en el maxilar. La atrofia severa de hueso maxilar impide la colocación de implantes dentales convencionales o incluso de una prótesis completa removible, lo que se traduce en una disminución considerable en la calidad de vida del paciente, que está impedido para una masticación adecuada,

e incluso para sus relaciones sociales y su autoestima. En este contexto, los implantes cigomáticos se fijan en el hueso que forma los pómulos. Este hueso ofrece unas características muy adecuadas para el anclaje de los implantes y garantiza una fijación a largo plazo.

En definitiva, “la digitalización en Odontología y en el mundo de la Medicina en general nos está permitiendo cada vez más hacer procedimientos más controlados, con una menor morbilidad para el paciente, con mucha más seguridad (mayor control sobre los riesgos que se traduce en un menor número de complicaciones) y de una ma-

siguiendo la evolución de la Odontología 63 eldentistamoderno mayo-junio 2023
Artículo patrocinado
La ventaja de la implementación del neuronavegador Brainlab es que aporta una fiabilidad y predictibilidad total

nera más rápida y menos invasiva, con una menor duración de las intervenciones y una recuperación más rápida y más indolora para el paciente”, apunta la Dra. Escorial.

Respecto a la planificación de este tipo de intervenciones en el Hospital Universitario Sanitas la Zarzuela, cirugías avanzadas y complejas como ésta se inician “con una primera visita, en la que entendemos las necesidades del paciente, se realiza un estudio médico en profundidad (salud general y salud oral) y, a partir de aquí, determinamos el posible tratamiento (tipo de restauración/prótesis) que necesita recibir para poner en marcha un equipo asistencial conformado, en este caso, por odontólogos y cirujanos maxilofaciales y, además, con el soporte del laboratorio protésico y un ingeniero biomédico que también forman parte del equipo”, explica la Dra. Escorial.

Normalmente, los pacientes que se someten a este tipo de cirugías con implantes cigomáticos son pacientes que no pueden recibir implantes tradicionales porque tienen atrofia en el maxilar, pacientes en los que la reconstrucción ósea no está indicada, hay ausencia de sustrato óseo… En definitiva, según apunta la Dra. Escorial, “suelen ser pacientes que no tienen la alternativa de la prótesis”. Además, añade, “estos pacientes acuden a nuestra Unidad demandando una solución que ya intuyen que no es la más frecuente, pero en este caso el esfuerzo del equipo es trasladar toda la información necesaria y suficiente al paciente, para que entienda la trascendencia de este tipo de intervención y por qué le ofrecemos esta alternativa terapéutica, realizando posteriormente una planificación y un plan de tratamiento de los que el paciente también está informado en todo momento”.

Apuesta por la multidisciplinariedad

Esta intervención sitúa al Hospital Universitario La Zarzuela como referente en cuanto a la importancia del trabajo multidisciplinar para el éxito de los tratamientos. En concreto, este tipo de intervenciones exigen la destreza y la formación específica de un equipo multidisciplinar, formado por un cirujano maxilofacial, un odontólogo restaurador, un técnico de laboratorio dental y, además, se ha incorporado un ingeniero biomédico para el control y la planificación de la navegación dinámica, una figura que “es fundamental en este tipo de equipos, de acuerdo a que cada vez estamos trabajando más en una Odontología más personalizada”, según la Dra. Escorial.

La cirugía maxilofacial y la odontología están estrechamente vinculadas y en los últimos años este acercamiento ha sido cada vez mayor; desde la Unidad Odontológica del Hospital Universitario Sanitas la Zarzuela se está apostando por la integración de las diferentes disciplinas y, tal y como señala la Dra. Escorial, “el éxito de este tipo de tratamientos proviene de la integración de las distintas disciplinas que forman parte de un mismo equipo”.

El entorno hospitalario, un entorno seguro La Unidad Odontológica del Hospital Universitario Sanitas la Zarzuela busca poder ofrecer tratamientos complejos para personas que tienen necesidades complejas, pero que a su vez sean tratamientos indoloros, muy predecibles y seguros. Más allá de la técnica y de las ventajas de la implementación de este tipo de tecnologías, la Dra. Escorial destaca la importancia de realizar este tipo de procedimientos en establecimientos hospitalarios y bajo anestesia general. En este sentido, explica que “el traslado de procedimientos que tradicionalmente han sido realizados en gabinete/sillón dental pero que, por complicación y severidad, hacen que el paciente sufra mucho

reportaje 64 eldentistamoderno mayo-junio 2023 HOSPITAL UNIVERSITARIO SANITAS LA ZARZUELA

estrés, a un entorno hospitalario nos permite obtener mejores resultados, tratamientos más seguros y predecibles y pacientes más satisfechos en todos los sentidos”.

Así, desde la Unidad Odontológica del Hospital Universitario Sanitas la Zarzuela ofrecen la realización de tratamientos odontológicos en un ambiente controlado, especialmente para pacientes odontofóbicos, con problemas de salud que condicionan la necesidad de ser tratados en este ambiente, pacientes pediátricos, pacientes adultos con necesidades especiales, etc.

Digitalización para transformar el modelo asistencial Sanitas Dental está integrada en una compañía que está transformando la relación médico-paciente. “Desde hace ya varios años, Sanitas ha iniciado un proceso de transformación con la digitalización como palanca de cambio del modelo asistencial y actualmente, todo el customer journey está muy digitalizado”, explica la Dra. Escorial. En este sentido, la responsable del departamento de Innovación y Calidad Clínica de Sanitas Dental asegura que “también hemos apostado por que toda la parte diagnóstica y de equipamiento esté lo más digitalizada posible: radiología, equipamiento de gabinete dental… Asimismo, trabajamos para que todos los datos e información recogidos contribuyan a mejorar la atención al paciente”. A su vez, destaca la incorporación de equipamiento que permite a Sanitas Dental trabajar con sus proveedores de una manera distinta (como ha sido el caso, por ejemplo, de la utilización del escáner intraoral).

“Gracias a la digitalización y las nuevas tecnologías, estamos transformando nuestros procesos asistenciales ya que nuestro expertise y el equipamiento de la Unidad Odontológica nos están permitiendo investigar, crecer y crear protocolos propios y procedimientos avanzados de última generación, a la vanguardia en todo tipo de tratamientos”, apunta la Dra. Escorial. En este sentido, asegura que “nuestro objetivo es aplicar la digitalización a los procesos asistenciales para ofrecer lo mejor a nuestros pacientes”. Por otro lado, la Dra. Escorial añade que el objetivo de Sanitas Dental a nivel asistencial es “ofrecer a los pacientes los procedimientos punteros y personalizados y todo ello en el ambiente adecuado, contando con una estructura asistencial integrada que permita a nuestro paciente recibir el tratamiento que necesite esté donde esté”. 

siguiendo la evolución de la Odontología 65 eldentistamoderno mayo-junio 2023
“ Gracias a la digitalización y las nuevas tecnologías, estamos transformando nuestros procesos asistenciales ya que nuestro expertise y el equipamiento de la Unidad Odontológica nos están permitiendo investigar, crecer y crear protocolos propios y procedimientos avanzados de última generación, a la vanguardia en todo tipo de tratamientos ”

and Technology Solutions

LA INFORMÁTICA CLÍNICA Y LAS NUEVAS TENDENCIAS TECNOLÓGICAS

Muy pocas veces, el odontólogo o protésico se fija en el tipo de informática que tiene en sus instalaciones y no tiene presente que en el momento actual y futuro nuestra clínica y nuestros pacientes van a depender de ello. Es por ello que este artículo pretende dar una breve visión de las partes más importantes a tener en cuenta y que deberíamos revisar como mínimo 1 vez al año.

funcione. Es esa garantía la que asegura la eficacia y excelencia en la clínica, la cual es la razón por la que se ha realizado la inversión y, lo más importante, que la tecnología clínica o laboratorio funciona como parte de un mismo engranaje.

Actualización de los equipos tecnológicos

Por tanto, una vez expuesto el contexto de por qué es tan importante echarle un vistazo a nuestra informática, vamos a ver qué partes de ésta deberían estar siempre al día:

• Servidor de red: es el corazón sobre el que todo pivota. Deben ser sistemas robustos, potentes y con toda la seguridad y capacidad de almacenamiento necesaria en función de si todo está en local o usamos “la nube”, Cloud, para almacenamiento.

Contacto:

contacto@talentua.es

+34 935484595

En muchos casos no somos conscientes que cuando compramos un software de gestión o realizamos un workflow digital con una IOS, impresora 3D o para la conexión con nuestro laboratorio, todo depende de que nuestra informática funcione correctamente.

Además, tampoco solemos tener presente que toda la nueva tecnología que en la actualidad ya estamos usando, como el Cloud, la IA y la virtualización del puesto de trabajo o el SaaS (Software as a Services), es una realidad que forma parte de la Transformación de la Salud 4.0 y que está avanzando en el sector odontológico de forma muy rápida.

Dicho esto, está claro que el profesional sanitario debe centrarse en el paciente, mientras que un socio tecnológico le garantiza que todo su sistema

• Puesto de trabajo: desde un ordenador hasta una tablet para la gestión de la clínica y contabilidad, gabinete, CBT, etc.

• Red: puede ser cableado o wifi. En este caso, se recomendaría cableado para 1 GB de red cable o fibra. La wifi debería de estar preparada para 5G y 6G con buena señal en toda la clínica, ya que de lo contrario puede no funcionar correctamente la IOS.

• Software del puesto: esto es básico; Windows, Apple IOS, Linux y el software ofimático estándar. Eso sí, siempre en la última versión.

• Software de gestión: en este ámbito, cada vez hay más y mejores opciones que las conocidas hasta la fecha. Si está instalado en el local, probablemente Gesden sea el más extendido; en cambio, si vamos a trabajar en la nube, Dentalink o Klinicare pueden ser una buena opción, siempre con un buen mantenimiento y garantía de soporte técnico en 24 horas.

66 eldentistamoderno mayo-junio 2023 TALENTUA
Health
Pixabay

• Ciberseguridad: ésta es la parte más complicada en la actualidad y dependerá del uso que hagamos externo de los sistemas. Para asentar una buena base, es importante tener un buen antivirus como McAfee. La infraestructura puede ser más compleja, entre instalaciones en local y la nube, así como externalización de servicios Cloud, IA, etc.

• Almacenamiento: éste será, si no lo es ya, uno de los caballos de batalla en clínica y laboratorio. El almacenamiento de datos no sólo incluye los historiales clínicos, sino también las imágenes de las CBT, IOS, escáneres, etc. Es por ello que deberíamos realizar un análisis especial en este apartado y valorar la virtualización como un punto de inflexión muy importante.

Estos puntos son sólo una pequeña parte del gran engranaje tecnológico que existe hoy en día en clínicas, hospitales y laboratorios. Es muy importante mantener todos los equipos actualizados y, sobre todo, que el personal que trabaja con éste tenga una formación continuada de los sistemas utilizados.

La importancia de la asesoría en digitalización

Una vez revisada la parte informática vamos a revisar cómo deberíamos tener nuestra tecnología sanitaria. Cada vez más, los equipos en clínica o laboratorio están integrados con las últimas novedades tecnológicas. Los fabricantes están haciendo un gran esfuerzo en I+D+i para llevar al profesional las herramientas que aportan más eficiencia en los tratamientos. Es por ello que todos estos sistemas deben estar bien integrados y en buenas manos. Si nos centramos en un estudio de COTEC y Fenin, vemos que el índice de madurez digital está en un 31%. Este dato demuestra que, en general, todavía queda mucho por hacer en el sector sanitario, generalmente enfocado al sector público. Sin embargo, en el sector privado, donde englobamos la odontología, tampoco hay grandes diferencias en cuanto a índices y la problemática donde el IA puede ser muy útil.

Las cuatro partes a trabajar, según este informe, para evolucionar en la digitalización de la clínica son:

• Servicio para el paciente.

• Herramientas para los profesionales.

• Infraestructura tecnológica.

• Análisis del dato para tomar mejores decisiones. Como hemos comentado anteriormente, no sólo se trata de comprar tecnología, sino de que funcione correctamente para que cumpla con su objetivo.

Por ello, la asesoría de empresas como Talentua es importante en estos momentos.

Tecnología: futuro y nuevos conceptos Si entramos en un contexto de futuro, si tenemos todo nuestro ecosistema bien integrado y en buenas manos, esto ayuda a implementar sistemas de sostenibilidad en la clínica y crear políticas ESG. Teniendo en cuanta las nuevas tecnologías y cómo su uso mejora el entorno profesional y clínico, podemos destacar que en este 2023 van a ir entrando nuevos conceptos de lo que serán nuevos pasos tecnológicos. Por ejemplo:

• Realidad Extendida: una evolución de las ya conocidas Realidad Aumentada y Virtual que ayudará en varios tipos de procesos clínicos y también en temas de formación sanitaria.

Juan M. Molina es CEO de Talentua, empresa de consultoría y soluciones para la tecnología sanitaria. Juan M. Molina cuenta con 25 años de experiencia en el sector de las TIC’s y Comunicaciones; así como con 17 años de experiencia en el sector odontológico y médico. Fue durante 6 años presidente del sector dental de FENIN. Entre sus varias titulaciones cuenta con los títulos de “Transformación del Sistema Sanitario 4.0”, por Harvard Medical University; “IA aplicado a la estrategia de la salud”, por MIT Boston; y “Digital Mindset”, por le IESE.

67 eldentistamoderno mayo-junio 2023
Toda la nueva tecnología que en la actualidad ya estamos usando es una realidad que forma parte de la Transformación de la Salud 4.0 y que está avanzando en el sector odontológico de forma muy rápida
Juan M. Molina Pixabay

Health and Technology Solutions

• Multicloud y Metacloud: una nueva forma de gestionar la información en la red, para hacerlo más sencillo y seguro.

• Nuevos modelos de computación cuántica que ayudarán a los científicos a poder realizar su I+D+i mucho más rápido y de forma más eficiente.

• IA Generativa, donde ya estamos viendo primeros pasos con ChatGTP y algunos softwares de diseño.

• Virtualización del puesto de trabajo y sistemas de ciberseguridad y blockchain

Como hemos podido repasar, este mundo cada vez avanza más rápido. Debemos adaptarnos a la velocidad que evoluciona para que, cuando llegue a nuestro entorno cercano o nuestros pacientes nos lo demanden, estemos preparados nosotros y nuestros equipos; haciendo así que la formación continua del equipo interno y un buen servicio técnico sean una parte fundamental.

En mi opinión, los proyectos basados en tecnología, y sobre todo en inteligencia artificial, son cada vez más comunes. Es importante analizar cada situación y el por qué de la adopción de dichas soluciones, para así incorporar sólo aquellas que realmente sean de utilidad y sumen a nuestro espacio de trabajo.

En definitiva, hoy en día nos encontramos con un mundo de novedades de las que iremos informando en siguientes artículos más en detalle, ofreciendo siempre nuestra visión enfocada en la sanidad y odontología, teniendo la Transformación de la Salud 4.0 y el paciente como eje central. 

68 eldentistamoderno mayo-junio 2023 TALENTUA
Los proyectos basados en tecnología, y sobre todo en inteligencia artificial, son cada vez más comunes. Es importante analizar cada situación y el por qué de la adopción de dichas soluciones, para así incorporar sólo aquellas que realmente sean de utilidad y sumen a nuestro espacio de trabajo
El profesional sanitario debe centrarse en el paciente, mientras que un socio tecnológico le garantiza que todo su sistema funcione. Es esa garantía la que asegura la eficacia y excelencia en la clínica
Pixabay Pixabay

“Confío en Prime Zirconia, parte de la familia e.max.“

Dr. Ricardo Recena, Fuengirola, España.

¡Conozca más sobre Prime Zirconia!

Puede confiar en IPS e.max® ZirCAD Prime en términos de calidad, longevidad, estabilidad y, sobre todo, estética. ¡Recete ya nuestro Prime Zirconia!

ivoclar.com Making People Smile

“EN ‘PERIO CLÍNICA’ BUSCAMOS

TEMAS QUE PUEDAN TENER UN IMPACTO DIRECTO Y AYUDEN AL CLÍNICO A OBTENER MEJORES RESULTADOS CON SUS PACIENTES”

Dr. Ignacio Sanz Martín, especialista en Periodoncia e Implantes dentales y director de “Perio Clínica”

El Dr. Ignacio Sanz Martín, especialista en Periodoncia e Implantes dentales y director de “Perio Clínica”, nos explica en esta entrevista la mentalidad en cuanto a la educación en Odontología que existe en Estados Unidos o Suiza, con tipos de formación muy diferentes pero a la vez complementarios y referentes a nivel mundial. Además, el Dr. Sanz Martín avanza algunos de los contenidos que nos deparan en los próximos números de “Perio Clínica”.

entrevista ENTREVISTA 70 eldentistamoderno mayo-junio 2023

 DM.- Para su formación como especialista eligió la Universidad de Boston (EE.UU.), Tufts University (Boston, EE.UU.) y la Universidad de Zurich (Suiza). Teniendo en cuenta su experiencia, ¿qué diferencias existen entre la formación en Estados Unidos y en Europa?

Dr. Ignacio Sanz Martín (Dr. I.S.M.).- Mi experiencia en USA fue muy gratificante. La principal razón por la que elegí esta formación es porque los programas americanos eran y son referentes mundiales en cuanto a la educación en Odontología. Sí que es verdad que existen grandes diferencias entre cada programa y universidad, y unos están más centrados en clínica y otros en investigación. Creo que la mentalidad americana te aporta mucha confianza y motivación para avanzar, aprender y buscar tus propias respuestas, además de una gran pasión por nuestra profesión. La formación en Suiza la vi más reglada y protocolizada y más centrada en temas relevantes para el clínico en el día a día y en dar al estudiante herramientas fiables que le ayuden a dar un buen servicio al paciente. Lo que pude observar es que en los programas americanos había una cierta variabilidad en el nivel de los estudiantes (unos mejores y otros peores), pero en el caso de los programas suizos el nivel estaba más estandarizado. El ejemplo que explica la mentalidad diferente es que en los programas suizos todos los profesores tenían todos el mismo concepto y siempre se hacían las cosas de la misma manera, mientras que en los americanos, los profesores hacían las cosas de manera diferente de forma que podías probar más técnicas. Además, he tenido la suerte de ser profesor del Máster de Periodoncia en España en la Universidad Complutense de Madrid y en la Internacional de Catalunya. Y tengo que decir que debemos de estar muy orgullosos de nuestro nivel docente; en España se forman grandes profesionales.

 DM.- Como responsable de “Perio Clínica”, la revista científica de Sepa, ¿cuáles son los criterios en los que se basan a la hora de seleccionar los contenidos que incluyen en sus páginas?

Dr. I.S.M.- Trato de buscar temas que puedan tener un impacto directo y ayuden al clínico a obtener mejores resultados con sus pacientes. La revista está muy dedicada al día a día de la consulta y se centra en explicar de manera pormenorizada técnicas y filosofías de una manera muy didáctica y con fotos clínicas explicativas. Los últimos números, por

ejemplo, han tratado la aplicación clínica del microscopio en la consulta dental, los autotransplantes y manejo de la sonrisa gingival.

 DM.- ¿Cuáles son los temas en los que se van a focalizar en los próximos números de “Perio Clínica”?

Dr. I.S.M.- Estamos a punto de sacar el número 25 que trata sobre la técnica de BOPT y en el que contamos con el Dr. Ignacio Loi (inventor de la téc-

71 eldentistamoderno mayo-junio 2023
Los programas americanos eran y son referentes mundiales en cuanto a la educación en Odontología. La formación en USA te aporta mucha confianza y motivación para avanzar, aprender y buscar tus propias respuestas, además de una gran pasión por nuestra profesión ”

entrevista

nica) y el Prof. Guillermo Pradíes como directores invitados. Tengo que decir que es la mejor reunión del conocimiento actual que se ha hecho hasta la fecha sobre este tema y que contamos con los mejores expertos nacionales e internacionales. Además, el número 26 tratará del manejo de recesiones en el quinto sextante con el Prof. Gionvanni Zuccelli y Rafael Naranjo como directores invitados. El número 27 tratará sobre la descontaminación de superficies en implantes y los directores invitados van a ser Lisa Heitz Mayfield y Alberto Monje.

 DM.- Este año “Perio Clínica” ha estrenado un portal propio. ¿Qué contenidos se pueden encontrar en esta web y qué valor añadido ofrece?

Dr. I.S.M.- Ha sido un trabajo colosal de todo el equipo de SEPA y creo que ayuda que los socios y cualquier persona que esté interesada en la revista pueda acceder de manera simple y rápida a los contenidos. Además, contamos con videos y entrevistas a los autores, sin olvidar que en todos los números existen artículos en abierto que los no socios se pueden descargar gratis y comprobar de esta manera el estilo de la revista. No dejéis de visitar la web: https://perioclinica.com

 DM.- Actualmente combina la práctica clínica en Suiza como su cargo de director de “Perio Clínica”. ¿Qué le aporta a nivel profesional cada una de estas labores?

Dr. I.S.M.- Llevo 4 años viviendo en Lausanne, la capital olímpica a orillas del lago Lehman en la parte francesa de Suiza, y allí tengo mi propia consulta de especialista en Periodoncia e Implantes. Estos últimos años han sido un reto de adaptación y aprendizaje, pero la verdad es que estoy muy contento. He conseguido hacer mi propio equipo y trabajar de la manera que deseaba. Además empiezo mis actividades formativas en la consulta a finales de este año, con cursos en el ámbito de la Periodoncia y los implantes que es algo que me hace mucha ilusión.

El cargo en la revista lo veo como una contribución a la Sociedad Española de Periodoncia y una manera de intentar contribuir a que los profesionales de nuestro país puedan seguir creciendo y mejorando. Además, la revista tiene vocación internacional (hay una versión en inglés), por lo que creo que podemos llegar a todos los profesionales del mundo con los mismos objetivos que en España. 

ENTREVISTA 72 eldentistamoderno mayo-junio 2023
La formación en Suiza, más reglada y protocolizada, está más centrada en temas relevantes para el clínico en el día a día y en dar al estudiante herramientas fiables que le ayuden a dar un buen servicio al paciente
PUEDES IMPRIMIR TODAS ESTAS APLICACIONES EN ODONTOLOGIA. E L F L U J O D E T R A B A J O D E I M P R E S I Ó N D E N T A L 3 D M Á S R Á P I D O SprintRay Europe GmbH Brunnenweg 11 64331 Alemania info.eu@sprintray.com www.sprintray.com 00800 70 70 8000 SOLICITAR UNA MUESTRA

PROTOCOLO DE ACEPTACIÓN

PARA EL TRATAMIENTO DEL FÓBICO DENTAL

A lo largo de este artículo, el Dr. Fernando Gérman, especialista en fobia dental, nos detalla el protocolo de aceptación para el tratamiento del fóbico dental establecido por el Ilustre Colegio de Médicos de Madrid bajo la Comisión Científica y de Investigación. En él se evalúan y exponen las causas y la forma que tienen para poder asistir, tratar y desarrollar técnicas eficaces para que el paciente fóbico dental pueda tratarse normalmente en sesiones futuras sin la necesidad de prestaciones ni técnicas adicionales diferentes de los demás pacientes.

En España, según los estudios, el 80% de la población se considera una persona ansiosa a la hora de visitar una clínica dental, de ese porcentaje aproximadamente el 20% se considera fóbico. El tratamiento dirigido a este grupo de pacientes no puede ni debe ser realizado de la misma manera ni con las mismas técnicas tradicionales con las que se atiende a los demás pacientes. En este protocolo evaluaremos y expondremos las causas y la forma que tenemos para poder asistir, tratar y desarrollar unas técnicas eficaces para que el paciente pueda tratarse normalmente en sesiones futuras sin la necesidad de prestaciones ni técnicas adicionales diferentes de los demás pacientes clásicos.

¿Cómo puede llegar una persona a convertirse en fóbico dental?

El temor arraigado puede desarrollarse por los siguientes motivos, desde la inclusive espero que quede marcado en el subconsciente mental, así como creciendo poco a poco como una bola, acumula experiencia y estimulas durante el crecimiento y en la misma adolescencia.

1. Son personas con mala experiencia (directamente vividas).

2. Pueden llegar a no tener o recordar experiencias desagradables, pero están influidas y sugestionadas por conocidos o familiares que sí han tenido malas experiencias vividas.

3. Han sido amenazados como forma de manipulación negativa por los padres o tutores durante la infancia utilizando la imagen del dentista como castigo.

4. Han sido testigos directos de una mala experiencia dental y han quedado impactados subconscientemente de una desagradable imagen que la convierten en propia.

Características del fóbico dental

1. Son personas que no demuestran su verdadero carácter o personalidad, no llegamos a conocerlos al principio porque colocan numerosas barreras de comunicación.

2. Se muestran de diversas maneras frente al profesional (retraídos, agresivos o tímidos) como forma de escudo o coraza, pero lo que verdaderamente tienen es temor, miedo a lo desconocido o temor no racional, incomprensivo, aunque en algunos casos el paciente lo entiende como tal, pero no puede dominarlo.

3. Condiciona su objetividad en detalles que para nosotros pueden ser efímeros (terminología, miradas, tonos de voz, seguridad en nuestros comportamientos, gestos.…).

protocolos 74 eldentistamoderno mayo-junio 2023 ODONTOFOBIA
Contacto: academy@dentinova.es https://academy.dentinova.es

4. No conviene detallar el tratamiento sino detallar en soluciones, ya que lo que para nosotros pueden ser actos mínimamente intervencionistas y simples, para los fóbicos la misma explicación pasa por una serie de mecanismos mentales imaginarios de los cuales no tenemos alcance y que pueden generar confusiones importantes agravando el problema;

por ello recomendamos siempre objetivizar el tratamiento en las soluciones que tenemos a mano como profesionales y no en explicar el método con el que haremos ese tratamiento.

5. Los planes de tratamiento y el presupuesto final o parcial no deben ser cerrados sino abiertos por posibles cómplices que no deben ser expuestos en el momento de la intervención sino solucionados con alternativas no detalladas anteriormente cuando hablamos del plan de soluciones.

6. En general tienen conductas infantiles si es que sus experiencias negativas han sido provocadas en la infancia, porque en esos momentos mentalmente el paciente revive la edad en la que tuvo la experiencia dental.

Opciones de tratamiento

1. Tratamiento con atención psicológica consecutiva con pautas de acostumbramiento y apoyo conductual. Control de la ansiedad. Asistencia con un psicólogo conductista.

2. Tratamiento normalizado con visitas cortas y seguidas a diario o cada dos días, permitiendo ir poco a poco acostumbrándose progresivamente a los ruidos, sensaciones y a todas las vivencias diarias que puede ir mentalmente descartando por el propio conocimiento de lo que va a ir ocurriendo, ya que lo ha vivido en las visitas anteriores.

75 eldentistamoderno mayo-junio 2023
Dr. Fernando Germán DDS Director Dentinova Director Dentinova Academy Postgrado en Implantología New York University Especialista en fobia dental Perito Asociación Peritos Barcelona Kol de Sprintray Ibérica Ponente de ETK Implant www.dentinova.es Características del fóbico dental.

protocolos

3. Sedación gaseosa con óxido regulado incrementado con la asistencia profesional de un médico anestesista o dentista especializado en los términos legales para el uso del óxido nitroso..

Permite obtener una relajación sustancial para poder realizar los tratamientos básicos como obturaciones, higienes y cirugías simples de corta duración. El paciente obtiene un bienestar al cabo de unos minutos que lo transporta a una embriaguez simulada con exaltación del ánimo. En algunas situaciones está contraindicado para aquellas personas que pueden tener cierta claustrofobia porque al tener que aplicarle sufren repentinamente un rechazo a la colocación y mantenimiento de la máscara para la inhalación del gas.

4. Sedación intravenosa con la asistencia de profesional médico especializado. Anestesista médico colegiado. Esta técnica está más reservada preferentemente para actuaciones con pacientes con gran fobia en lo que se refiere a la atención dental. Se realizan en quirófanos especialmente preparados para la sedación intravenosa y bajo el monitoreo cardíaco y pulsioxímetro. Se deberá contar con personal médico cualificado en caso de emergencia (Ver tabla I).

La técnica intravenosa es la más común y consiste en la administración de fármacos anestésicos con actividad ansiolítica hipnótica y analgésica según el caso.

Fármacos más utilizados en sedación intravenosa Los fármacos más utilizados actualmente en las sedación superficial son:

A. Midazolam: Benzodiazepina de acción corta con efecto hipnótico asociado.

B. Propofol: hipnótico no barbitúrico de acción ultracorta. En dosis bajas ( 0,3-0,5 mg/kg) produce una sedación consciente, profunda y útil en los momentos iniciales cuando se realiza el bloqueo nervioso.

C. Fentanilo: opioide de corta acción de utilidad en la cirugía ambulatoria en los procedimientos odontológicos; sin embargo, su utilidad es mínima ya que se sustituye con la infiltración local.

El acceso IV nos permite asociar medicamentos coadyuvantes (antibióticos, antieméticos, etc.), logrando así confort del paciente. A este respecto los fármacos más habituales en nuestro protocolo incluyen:

A. Corticoide. De utilidad. También conocida como antiinflamatorios.

B. Antiinflamatorios no esteroides: (Aines). Tiene actividad antiinflamatoria y analgésica. Actualmente utilizamos el ketorolaco y el desketoprofeno.

C. Antieméticos: el Honda centrum, en dosis de 4-8 mg, permite una profilaxis antiemética eficaz.

76 eldentistamoderno mayo-junio 2023
ODONTOFOBIA

TRATAMIENTO PSICOLÓGICO

SESIONES CORTAS Y CONTINUAS

Terapia conductista

Logros propios

Logros progresivos

VENTAJAS DESVENTAJAS

Lento

No apto para urgncias o necesidad de atención inmediata

No es seguro que se mantenga efectivo al momento de la intervención dental o quirúrgica. Es decir no es garantía de eficacia en el momento de la intervención

Se requiere la asistencia de un psicólogo fuera de la cínica que ayude y asista en terapias conductistas y refuerzo positivo.

Logros propios

Logros progresivos

Efecto duradero

No invasivo

Acción terapéutica inmediata ideal para intervenciones cortas

No se necesita personal médico especializado (anestesista)

No es controlable

No efectivo en caso de urgencias o asistencia inmediata

Puede verse afectada por factores inesperados en el momento de la actuación profesional

No efectivo para sesiones largas o complejas donde se necesita la relajación corporal y el autocontrol del paciente

Se requiere de aparatología especial y entrenamiento específico

No apto o recomendado para procedimientos largos y complejos de más de 2 horas

ÓXIDO NITROSO

Controlable según necesidad de aplicación Puede producir sensación claustrofóbica en algunos pacientes.

Relajante inmediatamente y sin efectos posteriores (fácil eliminación por via aérea)

Se requiere de un entrenamiento especializado o la asistencia de un anestesista

Acción inmediata, Ideal para intervenciones largas y complejas

Alta efectividad para pacientes con gran ansiedad y fobia dental

Ideal para niños y discapacitados mentales que requieran de procedimientos dentales complejos

Incómodo para el acceso bucal por parte del dentista operador o cirujano (dependiendo del tipo de mascarilla)

Se requiere de equipamiento especial ( fijación nasal o máscara nasal ) para procedimientos largos

Se requiere de la intervención de un profesional cualificado médico anestesista que tenga experiencia en sedación intravenosa denta

Se necesita de una programación previa para la coordinación entre anestesista, clínica y dentista que puedan asistir en una sóla sesión lo más importante para la salud del paciente, la próteis y estética para conseguir una resultado óptimo

Costes más altos en general

SEDACIÓN INTRAVENOSA

Permite en la mayoría de los casos una curación o mejora sustancial para tratamientos dentales de menor duración que se realizan posteriormente

No tiene recuerdos negativos. Produce una amnesia parcial del tratamiento (amnesia retrógrada)

Se puede aplicar simultáneamente antibióticos y antiinflamatorios intravenosos

Otorga una relajación muscular ideal para la intervención dental prolongada

Brinda una colaboración óptima cuando la sedación es administrada al mínimo efectivo

Riesgos mayores a nivel de la respuesta orgánica general

77 eldentistamoderno mayo-junio 2023
Tabla I.

ODONTOFOBIA

protocolos

D. Antibióticos: en los procedimientos de cirugía maxilofacial está indicada la profilaxis antibiótica, siendo de elección en la mochi Clavulánico cuando el paciente no es alérgico a la penicilina.

Selección de los pacientes

La selección de los pacientes candidatos para sedación en odontología incluye principalmente aquellos con fobias y/o ansiedad, o bien aquellas personas que requieren un tratamiento complejo y generalmente prolongado.

Se debe incluir, sin embargo, solamente los pacientes ASA 1 y ASA 2, es decir, pacientes sin patología asociada o bien pacientes con enfermedades asociadas, pero compensadas cuando se decide realizar un procedimiento de sedación en régimen ambulatorio y fuera de quirófano.

Protocolo de realización de la sedación en odontología

Preoperatorio

A. Selección del paciente candidato a sedación anestésica.

B. Evaluación de la historia clínica del paciente.

C. Consentimiento informado. 24 horas antes, como mínimo, de la intervención.

D. Entrega de las normas de preparación previas al procedimiento.

Operatorio

A. Colocación de un catéter intravenoso.

B. Monitorización básica. Incluye el registro. TAi FC basal. Registro de pulsioximetría durante todo el procedimiento quirúrgico controlando. El nivel de oxígeno en sangre.

Postoperatorio

A. Valoración del estado físico y nivel cognitivo del paciente antes del alta domiciliaria.

B. Entrega de las pautas y recomendaciones postoperatorias.

C. Alta del paciente acompañado siempre por otra persona adulta, donde se le repiten las indicaciones a tener en cuenta posteriormente.

Conclusiones

Nuestros objetivos al aplicar técnicas de sedación analgesia/ambulatoria en los procedimientos de cirugía odontológica son los siguientes:

a. Confort y seguridad para el paciente.

b. Capaz de brindar amnesia y analgesia al paciente suficiente como para poder realizar los procedimientos, pero que tenga la conciencia de una manera mínimamente activa. De esta manera, permite una acción en el subconsciente mental que le da la sensación de recibir atención dental de manera positiva y anulando sus sentimientos negativos para las siguientes sesiones o visitas que pueda realizar en días posteriores. ¨Reseteado de la conciencia¨.

c. Ofrecer un nivel de conciencia que permita la colaboración con el odontólogo durante el procedimiento.

d. Preservar los reflejos protectores de la vía aérea.

e. Rápida recuperación postoperatoria sin efectos residuales.

f. Ausencia de efectos secundarios.

Con todo este protocolo que venimos aplicando desde hace más de 20 años nos permite poder afirmar que manteniendo un protocolo completo y respetado para los pacientes, tal como se indica en este escrito aprobado por la Comisión Científica y de Investigación del Ilustre Colegio Médicos de Madrid, nos da la posibilidad de poder afirmar que el tratamiento para la fobia dental puede curar a estos pacientes de su miedo. Encontramos la clave de todo el procedimiento en la suma de cada punto mencionado, desde la primera visita hasta el último paso de su atención, pasando por el comportamiento que tenemos que tener como profesionales con el objetivo de cambiar la vida de estas personas que vienen sufriendo el miedo en algunos casos como los que nos encontramos desde hace más de 20 años sin visitar un dentista. El poder ver finalmente que en sólo dos visitas podemos cambiar la vida y el concepto de la odontología mínimamente invasiva solucionando el 90% del tratamiento, nos da un refuerzo positivo y una mejor imagen que satisface mucho más allá de lo económico. 

78 eldentistamoderno mayo-junio 2023

SEPE S 52

VALENCIA 23

12-14/OCT.

a somos digitales. Y ahora ¿que?

a somos digitales. Y ahora, ¿qué?

Si aún no te has inscrito al congreso de SEPES, hazlo con la mejor tarifa disponible

HASTA EL 30 DE JUNIO

APROVECHA LAS PROMOS para ir con tu equipo y amigos. No te pierdas el cóctel-fiesta del congreso.

Inscríbete y consulta el programa desde la App del congreso disponible en:

79 mayo-junio 2023 COLOR

LA PANDEMIA Y EL ESTRÉS VIVIDO DISPARAN

LOS CASOS DE BRUXISMO EN ESPAÑA

Con el objetivo de complementar la información publicada en el Libro Blanco 2020, elaborado con datos previos a la pandemia, el Consejo General de Dentistas y la Fundación Dental Española han analizado la influencia de la pandemia por Covid-19 en varios aspectos de la población, como sus hábitos de higiene bucodental, el estado de su salud oral, la utilización que se hace de los servicios bucodentales y el posible impacto económico actual. Así, el Libro Blanco 2023: Encuesta poblacional de la salud bucodental en la España postpandemia Covid-19 revela importantes datos obtenidos tras entrevistar a más de mil personas mayores de 18 años.

El 12% de los encuestados afirma preocuparse más por el estado de su salud oral que antes de la pandemia y un 67% reconoce tener algún problema bucodental frente al 57% de la encuesta publicada en 2020.

Durante el periodo pandémico (2020-2021) se produjo un agravamiento de la percepción global de los problemas bucodentales en 2 de cada 10 encuestados (17%), como caries sin tratar, sensibilidad dental, encías que sangran y bruxismo. En concreto, esta patología se ha incrementado notablemente, pasando del 6% en 2019 al 23% en la actualidad. Esto se debe a la ansiedad y el estrés que vivió la población durante la pandemia.

El 31% de los encuestados redujo la frecuencia de las visitas al dentista durante la pandemia y el 77% de las causas esgrimidas para no ir a consulta durante ese periodo están directamente relacionadas con el coronavirus, entre otras, miedo al contagio.

En el caso de los menores, el 55% visitó al dentista en 2019, una cifra que se redujo al 39% durante la pandemia.

Globalmente, el 8% de las personas entrevistadas no ha recuperado su frecuencia habitual de visitas al dentista en el periodo postpandémico (a partir de 2022). Cabe destacar que la actual crisis económica y el alza de la inflación son posibles causas de la retracción detectada.

Al comparar los datos del Libro Blanco 2023 con los del Libro Blanco 2020, se evidencia que los factores económicos eran citados entonces por el 24% de los encuestados que no acudían al dentista, mientras que ahora esa cifra se eleva al 36%. Por lo tanto, el miedo al contagio y la pérdida de poder adquisitivo se han solapado, propiciando un menor uso de los servicios odontológicos.

Aunque la cifra de encuestados que acudieron al dentista el año pasado es del 52%, la realidad apunta a una disminución del volumen de trabajo y, en determinados casos, los tratamientos demandados se corresponden con una atención más básica que los de la etapa prepandémica, cuando eran más complejos.

El Dr. Óscar Castro, presidente del Consejo General de Dentistas, declara que gracias a este Libro Blanco 2023 “podemos disponer de una radiografía actualizada de diferentes aspectos que están relacionados con la salud bucodental en España”. Asimismo, considera que los datos empiezan a ser optimistas, “pues se están empezando a recuperar cifras de 2019, aunque permanece la incógnita de cómo va a evolucionar la demanda dental en los próximos meses, debido a las condiciones económicas”. 

actualidad NOTICIAS 80 eldentistamoderno mayo-junio 2023
Debido a la ansiedad y el estrés provocado por la pandemia, la patología oral que más se ha incrementado ha sido el bruxismo, creciendo de un 6% en 2019 al 23% en la actualidad
En la imagen, Óscar Castro y Francisco García Lorente, durante la presentación del Libro Blanco 2023: Encuesta poblacional de la salud bucodental en la España postpandemia Covid-19.
81 eldentistamoderno mayo-junio 2023 + 23 CONGRESO Sevilla 31 Mayo - 3 Junio 2023 www.sepa2023.es El congreso de la Periodoncia y la Salud Bucal.

A PLUS, LA NUEVA CATEGORÍA PROFESIONAL QUE EL CONSEJO

GENERAL DE DENTISTAS SOLICITA AL MINISTERIO DE SANIDAD

Elpresidente del Consejo General de Dentistas, el Dr. Óscar Castro Reino, ha solicitado al Ministerio de Sanidad la creación de un nuevo grupo de categoría profesional, denominado “A Plus”, donde estarían incluidos los dentistas. Una petición que también ha realizado el Consejo General de Médicos para su colectivo profesional. Esto se debe a la reorganización de las titulaciones y el reconocimiento de Grado de aquellas que fueron Diplomaturas, como Enfermería o Fisioterapia, y que han iniciado acciones para pasar de grupo A2 a A1, que es donde actualmente se encuadran médicos y dentistas. El Dr. Castro considera “pertinente y necesario” que los licenciados/ graduados en Odontología pasaran del grupo A1 al “A Plus”, en el caso de que crease, por las siguientes razones:

• Formación más amplia: el Grado de Odontología consta de 300 créditos ECTS, frente a los 240 créditos de Enfermería, Fisioterapia y otras antiguas diplomaturas sanitarias.

• La titulación universitaria de Licenciado en Odontología se corresponde con el nivel 3 del MECES (nivel de máster).

• Las competencias, atribuciones, funciones y responsabilidades tanto de los médicos como de los odontólogos son muy diferentes a las de los profesionales sanitarios citados anteriormente, además de la exigencia en su desarrollo profesional continuo.

- Por otro lado, la profesión de dentista engloba las titulaciones de médico especialista en Estomatología y Odontología, de acuerdo con lo

contemplado en la Ley 44/2003, de 21 de noviembre, de ordenación de las profesiones sanitarias (artículo 6.2.c).

• Ambas titulaciones tienen idénticas funciones estipuladas en la Ley 10/1986, de 17 de marzo, sobre odontólogos y otros profesionales relacionados con la salud bucodental y el Real Decreto 1594/1994, de 15 de julio, por el que se desarrolla lo previsto en la Ley 10/1986, que regula la profesión de Odontólogo, Protésico e Higienista dental.

“Si nuestra solicitud se lleva a efecto sería de gran importancia para la Odontología, pues supondría un reconocimiento con importantes implicaciones laborales en el ámbito público del desarrollo profesional de los dentistas”, zanja el Dr. Castro. 

EL CONSEJO GENERAL DE DENTISTAS PRESIDE LA REUNIÓN DE LA FEDCAR

Elpresidente del Consejo General de Dentistas de España, Óscar Castro Reino, inauguró el 5 de mayo en Madrid la “Spring Meeting” de la Federación Europea de Autoridades y Reguladores Competentes en Odontología (FEDCAR), un encuentro anual previo a la celebración de la Asamblea General de la organización, en el que se debaten asuntos de extraordinaria importancia de cara a la ordenación de la profesión de dentista a nivel europeo. En su intervención, Óscar Castro ha explicado que en España “es necesario garantizar que la publicidad sanitaria cumpla con criterios de veracidad y exactitud tanto en su forma como en su contenido para proteger la seguridad de los pacientes”. Por ello, ha defendido la necesidad de una ley nacional que la regule y que además permita un seguimiento adecuado del cumplimiento de los preceptos que esta norma establezca. Del mismo modo, ha aportado solucio-

nes que ayuden a evitar nuevos escándalos en el sector por el cierre repentino de cadenas de clínicas que dejan cientos de pacientes damnificados. Ante ello, ha pedido la aplicación efectiva de la Ley de Sociedades Profesionales, según la cual, cualquier empresa dedicada a los servicios dentales debe estar en manos de dentistas y sujeta, por tanto, a principios éticos y deontológicos. En la misma línea se ha referido a la plétora profesional, puesto que actualmente en España hay 23 facultades de Odontología, más de 40.000 dentistas colegiados y una ratio de 1 dentista cada 1.190 habitantes, muy por encima de las cifras que recomienda la Organización Mundial de la Salud, que unido a la baja demanda asistencial (sólo el 51% de la población acude al dentista con una periodicidad anual) hace que la situación de la profesión sea “muy preocupante”. 

actualidad NOTICIAS 82 eldentistamoderno mayo-junio 2023
Pexels
Durante su intervención, el presidente del Consejo General de Dentistas de España, Óscar Castro Reino, ha analizado la situación actual de la Odontología española y ha expuesto los retos y necesidades que afronta la profesión de dentista en nuestro país. Consejo General de Dentistas de España

EL CONSEJO GENERAL DE DENTISTAS Y LA SEDCYDO, JUNTOS POR LA UTILIZACIÓN DE ÁCIDO HIALURÓNICO Y TOXINA BOTULÍNICA EN ODONTOLOGÍA

Elpresidente del Consejo General de Dentistas, Óscar Castro Reino, se ha reunido con Juan Manuel Prieto y Miguel de Pedro, presidente y vicepresidente de la Sociedad Española de Disfunción Craneomandibular y Dolor Orofacial (SEDCYDO), respectivamente.

Durante el encuentro, ambas entidades han conversado sobre las aplicaciones terapéuticas de las infiltraciones de toxina botulínica y ácido hialurónico en Odontología, concretamente, en el manejo de las afecciones de la articulación temporomandibular (ATM).

Óscar Castro valora muy positivamente esta reunión y confirma su apoyo a SEDCYDO, “una sociedad científica adscrita al Consejo General y que trabaja intensamente por encontrar los mejores tratamientos para mejorar la calidad de vida de los pacientes, que es, sin ningún género de duda, el objetivo principal de los dentistas”, indica el presidente del Consejo General de Dentistas. 

LA AEMPS AUTORIZA A ODONTÓLOGOS EL USO DE MEDICAMENTOS TERAPÉUTICOS EN CASOS ESPECIALES

La Agencia Española de Medicamentos y Productos Sanitarios (AEMPS) ha confirmado al Consejo General de Dentistas de España que el Real Decreto 1015/2009, de 19 de junio, por el que se regula la disponibilidad de medicamentos en situaciones especiales, es extensible a todos los profesionales sanitarios, incluidos los odontólogos.

Desde el Consejo General de Dentistas de España realizaron una consulta centrada en el término ‘médico’ utilizado en el texto, que podía ocasionar una inseguridad jurídica a la hora de que los dentistas se acogieran al mismo.

Actualmente, en España la ficha técnica de los medicamentos con toxina botulínica con carácter terapéutico no recoge entre las condiciones de uso las aplicaciones en casos de ATM, bruxismo y rechinamiento, dolores oro-faciales o sonrisas gingivales, entre otros. La declaración de la AEMPS demuestra que la utilización en estos supuestos es válida, ya que se encuentran dentro del campo de actuación legalmente permitido para los dentistas, siempre que se cumplan los requisitos exigidos en la normativa.

A continuación se indican los requerimientos recogidos en el Real Decreto: que el uso esté justificado en la historia clínica; que el paciente esté adecuadamente informado y dé su consentimiento; y que se limite a las situaciones en las que no haya otras alternativas terapéuticas autorizadas para un determinado paciente, respetando las restricciones ligadas a la prescripción o dispensación del medicamento y el protocolo terapéutico asistencial del centro sanitario. 

83 eldentistamoderno mayo-junio 2023
Pexels
De izq. a dcha. Miguel De Pedro, vicepresidente de SEDCYDO; Óscar Castro Reino, presidente del Consejo General de Dentistas; y Juan Manuel Prieto, presidente de SEDCYDO.

EL CONSEJO GENERAL DE DENTISTAS OFRECERÁ ASESORAMIENTO A COLEGIOS Y COLEGIADOS EN MATERIA

El Consejo General de Dentistas pone a disposición de los Colegios Oficiales de Dentistas y colegiados asesoramiento en materia de protección de datos a través de su DPO, De Lorenzo Abogados. Ricardo De Lorenzo Aparici y Óscar Castro Reino han firmado un contrato por el que la Organización Colegial arrienda los servicios profesionales de la firma legal, circunscribiéndose la prestación a un servicio de contacto DPO para la resolución de consultas jurídicas y/o revisión de la documentación relacionada con protección de datos

El contacto DPO tendrá la función de informar y asesorar al Colegio Oficial/colegiado del tratamiento de datos sobre: nuevos proyectos que impliquen tratamientos de datos, medidas técnicas y organizativas para reducir el riesgo en los derechos e intereses de los ciudadanos, regulación en materia de transferencias internacionales de datos, adopción de normas corporativas vinculantes, adopción de códigos de conducta, asesoramiento en la gestión de incidentes de seguridad, información y asesoramiento en la formación que debería impartir el responsable o encargado del tratamiento de datos, asesoramiento relativo al registro

DE PROTECCIÓN DE DATOS

de actividades del tratamiento de datos, asesoramiento en la gestión de derechos ARCO POL, asesoramiento en la asignación de responsabilidades y funciones, sobre todo respecto de la designación de un DPO, asesoramiento en la gestión de riesgos y evaluaciones de impacto y resolución de consultas jurídicas al DPO de los Colegios de Dentistas. Asimismo, supervisará el grado de cumplimiento al Reglamento General de Protección de Datos (RGPD) en relación con la documentación que maneja el Colegio Oficial/colegiado (cláusulas, contratos, convenios, web, cartelería, procedimientos, protocolos, tareas o registros internos, etc.). En ningún caso, el ejercicio de estas funciones realizadas supone que la firma De Lorenzo Abogados sea considerada DPO del colegiado o del Colegio de Dentistas que realice la consulta, puesto que solo lo asesorará en nombre y representación del Consejo General de Dentistas. Las consultas de Colegios de Dentistas y colegiados se realizarán a través de un formulario ubicado en la página web del Consejo https:// consejodentistas.es/dentistas/proteccion-de-datos.html, al que podrán acceder introduciendo su clave RIDO. 

EL COMITÉ CENTRAL DE ÉTICA DEL CONSEJO GENERAL DE DENTISTAS APRUEBA

ElComité Central de Ética del Consejo General de Dentistas, presidido por el Dr. Bernardo Perea, ha aprobado por unanimidad una Declaración en relación con la actitud que deben tener los dentistas ante la sospecha de malos tratos. En la Declaración se destaca que intervenir en estos casos no es sólo un deber legal, sino un deber ético. De hecho, la obligación de actuar ante una situación de estas características está recogida en múltiples normas legales autonómicas, nacionales, internaciones y en el Código de Ética y Deontología Dental.

Especialmente, se debe estar alerta en el caso de los pacientes más vulnerables, como las personas mayores, los niños y los adultos en situaciones delicadas. En el caso específico de niños y personas de edad avanzada, la “falta de cuidados” -incluidos los cuidados básicos odontológicos- también tiene la consideración de malos tratos.

Qué debe hacer el dentista

Lo primero sería intentar conseguir más información. Para ello, y si fuese posible, se preguntará directamente a la supuesta víctima sobre las circunstancias en las que se produjo la lesión (en el caso de que tuvieran la madurez y capacidad cognitiva suficiente), y plantear estas cuestiones sin la presencia de familiares o cuidadores. También

es importante hacer las preguntas de forma cauta y delicada. Si las lesiones parecen consecuencia de agresiones no explicadas y la etiología de las mismas no son convincentes, se debe asumir que es una posible víctima de malos tratos. Y también si nos encontramos ante niños o personas mayores con una situación de descuido en sus cuidados de salud.

Si no se está lo suficientemente seguro, pero se tiene una sospecha fundada, la actitud más razonable sería alertar a los Servicios Sociales. Según las diferentes comunidades autónomas, hay servicios de asistencia social en los ayuntamientos (o en las juntas de distrito) y/o en los centros de salud. Si se está razonablemente seguro de la existencia de malos tratos, entonces se debe denunciar la situación ante la autoridad. Y esta “denuncia” se realiza por escrito mediante un documento médico legal denominado parte de lesiones. Este parte de lesiones se puede entregar en el juzgado de guardia o en una comisaría, e implicaría el inicio de indagaciones por parte de la autoridad. No supone ninguna acusación directa, es únicamente una alerta ante una posible situación delictiva. Probablemente, se pidan aclaraciones sobre algún punto del documento, pero habitualmente se mantiene el anonimato del que alerta de una posible situación de este tipo. 

actualidad NOTICIAS 84 eldentistamoderno mayo-junio 2023
UNA DECLARACIÓN SOBRE CÓMO ACTUAR ANTE UNA SOSPECHA DE MALOS TRATOS

UN 64% DE LOS ESPAÑOLES NO REALIZAN

Un reciente estudio de hábitos de higiene bucal realizado en diversos países por la consultoría Hamilton y Dentaid Research Center constata que el 64% de los españoles no se limpia entre los dientes diariamente, sino que únicamente realiza el cepillado dental con pasta. La falta de higiene interdental puede afectar negativamente a la salud de los dientes y encías, además de tener efectos sobre la salud general.

Diversas patologías o condiciones bucales (como la caries, las enfermedades de las encías o la pérdida de dientes), pueden estar causadas por la falta de higiene interdental. Y es que es tanta su importancia que desde Dentaid recuerdan que el 80% de las caries son de origen interdental. Además, el estudio realizado con una muestra de más de 7.000 personas en diversos países (España, Chile y los Países Bajos), revela que la caries y la sensibilidad dental están entre las dolencias más comunes de los últimos 2 años, con un 40% y un 33% respectivamente, según todos los participantes. Sin embargo, las afectaciones que tiene una falta de cuidado de la cavidad bucal van mucho más allá. Un reciente informe de la Organización Mundial de la Salud (OMS) pone de manifiesto la estrecha relación existente entre algunas enfermedades periodontales y la diabetes o las enfermedades cardiovasculares como la hipertensión. Una salud bucal deficiente incrementa el

riesgo de sufrir estas patologías sistémicas o incluso, sin ir más lejos, puede provocar complicaciones en el embarazo, o bien empeorarlas si ya se sufren. Las patologías de las encías están entre las enfermedades más prevalentes en el mundo, el 80% de las personas mayores de 35 años sufren gingivitis o periodontitis. Sin embargo, la concienciación global sobre cómo la salud bucodental es clave para tener una buena salud general aún tiene mucho camino por recorrer. De todos modos, en el estudio se ha observado una leve evolución positiva, en los tres últimos años, respecto a la importancia que la población da a integrar el cuidado interdental en la rutina diaria de higiene bucal. Acudir a la clínica dental periódicamente y llevar a cabo una higiene bucal diaria completa, es la base de una buena salud bucal. “Es indispensable escoger y usar el producto interdental adecuado según cada boca o espacio interdental, como la seda dental, el cepillo interdental, el flosser, el palillo interdental o el irrigador bucal, así como adquirir el hábito de limpiarnos entre los dientes e integrarlo en la rutina de higiene bucal diaria desde edades tempranas, junto al cepillado dental y el uso de enjuagues bucales”, concluye el Dr. Joan Gispert, director de I+D+i de Dentaid Research Center. La recomendación del dentista o el higienista dental es indispensable para utilizar el producto adecuado según cada necesidad 

- ¡Qué dolor de espalda! Pruébala Gratis 10 días - Gracias. - ¡Que maravilla!. - ¡Ahora trabajo sin dolor! Tf. 94 668 0403 - info@bambach.es bambach.es - No, yo utilizo una silla Bambach. - ¿Es que a ti no te duele? - ¡No puedo más!
UNA HIGIENE INTERDENTAL DIARIA
Pexels

SECIB PIDE A SANIDAD QUE APLIQUE LA ESTRATEGIA DE LA OMS SOBRE SALUD BUCODENTAL

La Sociedad Española de Cirugía Bucal (SECIB) ha pedido al Ministerio de Sanidad, a través de una carta remitida el pasado mes de marzo, que incorpore a la Agenda 2030 las recomendaciones de la resolución 74.5 de Organización Mundial de la Salud (OMS) en materia de salud bucodental. SECIB recuerda que la salud bucodental es parte integrante de la salud general y propone la formulación de políticas, planes y proyectos en este sentido, con modelos eficaces a cargo de personal especialista o, en su defecto, con formación acreditada. En relación a la idea de la OMS de reforzar la prestación de servicios de salud bucodental como parte del paquete de servicios esenciales de salud que integran la cobertura sanitaria universal, SECIB plantea al Ministerio “un aumento de las prestaciones públicas básicas quirúrgicas, así como mejorar la tecnología disponible en la atención pública bucodental”.

Asimismo, SECIB, en sintonía con la OMS, llama la atención sobre la necesidad de avanzar hacia un enfoque preventivo, y no meramente curativo, para lo cual entiende que “se deberían reforzar y tener aval institucional los programas de prevención del cáncer oral en adultos y de prevención de la caries y la enfermedad periodontal en la población infanto-juvenil”. En particular, con respecto al cáncer oral, SECIB sugiere al Ministerio la idoneidad de “trabajar en una historia única y

oficial de monitorización de lesiones potencialmente malignas y del cáncer oral y sus factores de riesgo”. Por otro lado, el Dr. Daniel Torres, que firma la carta como presidente de SECIB, se refiere también a la idea expresada por la OMS de poner en marcha un plan de acción de salud bucodental pública que incluya un marco de seguimiento con metas claras y cuantificables sobre consumo de tabaco, masticación de nuez de areca o de betel y de alcohol. Todo ello sobre la base de servicios de odontología comunitaria, de promoción de la salud y educación sanitaria y de atención preventiva y curativa básica. En este sentido, el Dr. Torres asegura que “esta estrategia debería incorporarse dentro de las medidas implementadas por el Gobierno de España para el horizonte 2030, planificando y ejecutando actuaciones en periodos bianuales”. Y respecto a la teleodontología, “consideramos crucial que se introduzca en la totalidad de las consultas de la Atención Primaria de nuestro Estado, al objeto de facilitar la integración real de la odontología en las unidades hospitalarias, sin perjuicio de las estructuras asistenciales clásicamente configuradas”, añade el presidente de SECIB. 

MÁS DE LA MITAD DE LA POBLACIÓN MUNDIAL NO

TIENE ACCESO A SERVICIOS DE SALUD ESENCIALES

La atención sanitaria es un derecho fundamental que debería estar al alcance de todas las personas, sin importar su origen, género, edad o situación económica. Sin embargo, en muchos países, la desigualdad en el acceso a la atención sanitaria sigue siendo un problema importante. Según datos de la Organización Mundial de la Salud (OMS), más de la mitad de la población mundial no tiene acceso a servicios de salud esenciales y en algunos países, la brecha de acceso es aún mayor.

Las Comunidades Autónomas destinan menos del 25% de su presupuesto a la Atención Primaria, recomendado por la OMS para garantizar la salud de la población. En promedio, la inversión en Atención Primaria representa solo el 14,7% del presupuesto total de Sanidad en las comunidades que tienen información pública disponible para el año 2022. Por ello, es necesario un aumento significativo y sostenido en la inversión para cumplir con las recomendaciones de la OMS. Es importante garantizar la igualdad en el acceso a la atención sanitaria

ya que carecer de ello puede tener graves consecuencias para las personas y para el desarrollo de los países. De acuerdo con un estudio realizado por el Banco Mundial, la falta de acceso a la atención sanitaria puede tener un impacto negativo en la economía de un país. Por cada dólar invertido en atención sanitaria, se puede obtener un retorno de hasta cuatro dólares en términos de productividad y crecimiento económico. Además, las personas de bajos ingresos, las comunidades marginadas, las personas mayores y las mujeres a menudo enfrentan barreras adicionales para acceder a la atención sanitaria.

Según los profesionales de Deusto Salud consideran que “es crucial que se tomen medidas para garantizar que todos los pacientes tengan acceso a la atención sanitaria de calidad, independientemente de su origen, género, edad o situación económica. Esto incluye la inversión en sistemas de salud sólidos, la eliminación de barreras financieras y geográficas, y la promoción de la igualdad de género en la atención sanitaria”.

actualidad NOTICIAS 86 eldentistamoderno mayo-junio 2023

NUEVAS EVIDENCIAS CIENTÍFICAS CONFIRMAN LA EFICACIA

DE LOS COLUTORIOS

BUCALES CON CHX Y CPC PARA REDUCIR LA INFECTIVIDAD VIRAL DEL SARS-COV-2

Unestudio liderado por el Dr. Fabian Cieplik, profesor del Departamento de Odontología Conservadora y Periodoncia del Hospital Universitario de Ratisbona en Alemania, confirma los beneficios del enjuague bucal con colutorios con clorhexidina (CHX) y cloruro de cetilpiridinio (CPC) para reducir la infectividad viral intraoral SARS-CoV2. El estudio publicado en la revista Journal of Dental Research[1] concluye que un enjuague de un minuto de duración con un colutorio que contenga estos dos ingredientes activos puede reducir la carga y la infectividad viral de personas que han contraído el COVID-19.

Esta investigación refuerza la evidencia científica que ofrecían estudios previos[2] sobre los beneficios de utilizar este tipo de colutorios con antisépticos para reducir el impacto de virus respiratorios. Por tanto, pueden ser especialmente útiles en entornos sanitarios tanto para los profesionales como para los pacientes. Los odontólogos están particularmente expuestos a virus y bacterias, puesto que durante los procedimientos dentales se generan aerosoles y no se pueden garantizar medidas preventivas de contagio. Por ello, esta investigación supone un avance para contar con clínicas dentales más protegidas, en línea con las directrices marcadas por el Insti-

tuto Nacional de Seguridad y Salud en el Trabajo. Como afirma el Dr. Cieplik, “este estudio nos permite concluir que el enjuague previo al procedimiento dental puede ayudar a reducir el riesgo de posibles infecciones tanto en la consulta como en otros entornos similares”. El estudio que ha liderado el Dr. Cieplik se ha centrado en investigar la reducción de la carga vírica intraoral y la infectividad en pacientes con COVID-19. Para ello se ha utilizado un colutorio antiséptico con una concentración de 0,05% de CHX y un 0.05% de CPC. La investigación concluye que 30 minutos después del enjuague la infectividad viral se redujo significativamente. 

[1]Bonn EL, Rohrhofer A, Audebert FX, et al. Efficacy of a Mouthwash Containing CHX and CPC in SARS-CoV-2–Positive Patients: A Randomized Controlled Clinical Trial. Journal of Dental Research. 2023;0(0)

[2] Muñoz-Basagoiti J, Perez-Zsolt D, León R, Blanc V, Raïch-Regué D, Cano-Sarabia M, Trinité B, Pradenas E, Blanco J, Gispert J, Clotet B, Izquierdo-Useros N. Mouthwashes with CPC Reduce the Infectivity of SARS-CoV-2 Variants In Vitro. J Dent Res. 2021 Jul 20:220345211029269.

PopkinDL,ZilkaS,DimaanoM,etal.2017.CetylpyridiniumChloride(CPC)ExhibitsPotent, RapidActivityAgainstInfluenzaVirusesinvitroandinvivo.PathogImmun.2:252-269

EL USO DE LA IMPRESIÓN 3D CRECERÁ UN 20% EN LOS PRÓXIMOS 4 AÑOS

La impresión 3D es una tecnología emergente que está revolucionando la forma de crear objetos físicos. Actualmente, las impresoras 3D pueden producir con más de 250 materiales diferentes, 100 veces más rápido que las tradicionales y con un 90% de eficiencia de material. Esta herramienta permite fabricar piezas complejas con una amplia gama de funcionalidades y una visualización completa en tres dimensiones. El futuro del modelaje 3D es prometedor tanto a nivel empresarial como cotidiano, ya que se espera que en el próximo tiempo todas las industrias y hogares utilicen este tipo de diseño, gracias a los avances que se están desarrollando. En concreto, se estima que en 5-10 años cada casa tenga una impresora 3D igual que a día de hoy hay un frigorífico. Además, ya se han lanzado los primeros dispositivos capaces de imprimir a color, que permiten elegir entre una gama de 16 millones de tonalidades.

Según un informe de Canalys, en el primer trimestre del año 2022 se suministraron 26.800 impresoras 3D en todo el mundo. Hasta la fecha, el segmento empresarial ha sido el foco principal, y según sus estimaciones, se prevé un crecimiento anual del 20% para los próximos 3-4 años hasta estabilizarse. Es por ello que Félix Orjales, profesor de la escuela online especializada en formación industrial MINT, declara que “el modelado 3D se usa en la mayor parte de industrias, especialmente en las relacionadas con el diseño y fabricación de objetos. Los programas 3D son cada vez más intuitivos y se ha mejorado la visualización de los modelos. Hace años la visualización estaba limitada a una pantalla, y hoy en día es posible visualizarlo a través de gafas de realidad virtual, haciendo la experiencia más inmersiva trabajando con modelos de forma muy cercana al resultado final”.

A día de hoy ya hay muchos sectores que hacen uso de la impresión tridimensional.

En el ámbito de la Sanidad, esta técnica permite a los profesionales sanitarios la posibilidad de fabricar prótesis a medida después de escanear la zona afectada y generar un modelo 3D que se ajuste perfectamente a cada paciente mediante tecnologías de fabricación aditiva. 

87 eldentistamoderno mayo-junio 2023
123RF

ÉXITO DE PARTICIPACIÓN Y DE PONENCIAS EN EL IX CONGRESO DE ODONTOLOGÍA

DIGITAL DE SOCE CELEBRADO EN ZARAGOZA

En la inauguración del IX Congreso Anual de SOCE participaron el presidente de SOCE, Rafael Vila; el presidente del Congreso SOCE, Fernando Loscos; el presidente del Ilustre Colegio de Odontólogos y Estomatólogos de Aragón, Jaime Alfonso; el director general de Asistencia Sanitaria del Gobierno de Aragón, José Mª Abad; y la diputada en Cortes, Marián Orós.

Balance más que positivo del IX Congreso Anual de la Sociedad Española de Odontología Digital y Nuevas Tecnologías (SOCE) que se ha celebrado los días 28 y 29 de abril en Zaragoza. Más de mil congresistas, 90 ponentes y más de una treintena de expositores han participado en este encuentro sobre las últimas tendencias en tecnología y de la evolución que supone para el día a día en las consultas, de la mano de grandes expertos a nivel nacional e internacional. La odontología digital se está imponiendo porque, aunque conlleva una curva de aprendizaje, los beneficios son cuantiosos, tanto para los odontólogos como para los pacientes. Tal y como ha explicado el presidente del congreso, el Dr. Fernando Loscos, “estos avances permiten dejar atrás los moldes y trabajos en escayola para sustituirlos por tecnología 3D que permiten impresiones y fabricaciones más precisas”.

En la inauguración del IX Congreso Anual de SOCE han participado el presidente de SOCE, Rafael Vila; el presidente del Congreso SOCE, Fernando Loscos; el presidente del Ilustre Colegio de Odontólogos y Estomatólogos de Aragón, Jaime Alfonso; el director general de Asistencia Sanitaria del Gobierno de Aragón, José Mª Abad; y la diputada en Cortes, Marián Orós. El Dr. Loscos ha recalcado que esta cita “ha funcionado estupendamente con una asistencia superior a la esperada porque incluso se han inscrita profesionales en el último momento, las 83 ponencias y los speach corner han sido de una alta calidad”. La zona de los expositores, con 36 marcas comerciales, ha servido no sólo para conocer las novedades en odontología digital, sino también para hacer networking y establecer relaciones a futuro. “Con este congreso hemos conseguido que Zaragoza haya sido la capital de la odontología digital y la gente que ha asistido, aún con las dificultades que supone acudir a una cita como esta, se vaya muy contenta”, ha añadido el Dr. Loscos.

Una de las conclusiones de este IX Congreso Anual de la SOCE es que “lo digital ha invadido hace unos años la odontología y va a cambiar mucho la sistemática de trabajo de los dentistas. Hace años que la tecnología digital la utilizan los técnicos dentales y poco a poco está entrando en las clínicas y las universidades”, ha explicado el Dr. Loscos. Precisamente, la implantación de todos estos sistemas en las universidades fue tema de debate en la primera sesión del congreso y en la que se puso de manifiesto que no es algo fácil y cada centro lleva su ritmo, pero se es consciente de la importancia y el papel que está ocupando la odontología digital.

El próximo Congreso Anual de la Sociedad Española de Odontología Digital y Nuevas Tecnologías tendrá lugar en Málaga los días 16 y 17 de febrero de 2024. 

actualidad EVENTOS, SOCIEDADES Y EMPRESAS 88 eldentistamoderno mayo-junio 2023

CONGRESO

X X SECIB CÓRDOBA

21-23 SET’23

¿Te lo vas a perder?

TALLERES

PONENTES

Ronar Gudiño

Jorge Galante

José Miguel Cisneros Herreros

Manuel María Romero Jiménez

José Luis Domínguez-Mompell Micó

Juan Lara Chao

Argimiro Hernández Suárez

Eduardo Montero Solís

Abdelsalam Elaskary

Antonio Castilla Céspedes

Carlos Parra Rogel

Pablo Galindo Moreno

Mª Àngels Sánchez Garcés

Jorge Toledano Serrabona

Terry Zaniol

Patrick Palacci

Luigi Canullo

David González

Eduardo Anitua Aldecoa

José Vicente Bagan Sebastian

Cosme Gay Escoda

José Luis Gutiérrez Pérez

Juan Manuel Seoane Leston

José Manuel Aguirre Urizar

Adriana Castro Calderón

Óscar González Martín

Gustavo Ávila Ortiz

Ernest Mallat Callís

Giuliano Fragola

Antonio Romero Jiménez

Juan Ballesteros Martínez

Luis Cuadrado de Vicente

Enrique López Luque

Abdelsalam Elaskary

Jerián González Febles

CURSO HIGIENISTAS

Ana Fernández Olavarria

Iñigo Fernández-Fígares Conde

Ignacio Fernández Asián

Aida Gutiérrez Corrales

Secretaría Técnica

Grupo Meraki - Eventos con alma c/ Bruc, 28, 2 - 08010 Barcelona

Tel. 607 499 365

congreso@secibonline.com

89 eldentistamoderno mayo-junio 2023 www.secibonline.com
GRUPO
MERAKI

LA PERIODONTITIS PUEDE CASI DUPLICAR EL RIESGO DE PADECER ALZHEIMER Y TRIPLICAR EL RIESGO DE ICTUS ISQUÉMICO

Laperiodontitis no solo aumenta el riesgo de padecer ictus isquémico y demencia de tipo Alzheimer, sino que también se considera que diferentes intervenciones de salud oral pueden reducir el riesgo de sufrir estos desórdenes neurológicos. Éstas son las principales conclusiones que se extraen de un riguroso y exhaustivo informe de consenso llevado a cabo por el grupo de trabajo conjunto de la Sociedad Española de Periodoncia y Osteointegración (SEPA) y la Sociedad Española de Neurología (SEN), en el que además se apuntan algunas recomendaciones prácticas tanto para los odontólogos como los neurólogos.

En los últimos años se han acumulado nuevos estudios que apuntan una sugerente vinculación entre la periodontitis y algunas enfermedades neurológicas. Como apunta el Dr. Miguel Carasol, coordinador de los grupos de trabajo de SEPA, “de ahí surge la necesidad de revisar la evidencia científica de esta relación, así como el interés por extraer algunas conclusiones y consejos sobre cómo actuar con los pacientes con periodontitis y enfermedades neurológicas, que sean de utilidad tanto para el odontólogo como para el neurólogo y, en definitiva, para la población general”.

Según la vicepresidenta de SEPA, la Dra. Paula Matesanz, “el resultado del informe muestra que la periodontitis aumenta el riesgo de padecer ictus isquémico y demencia de tipo Alzheimer”. Por su parte, el Dr. José Miguel Láinez, presidente de la Sociedad Española de Neurología (SEN),

resalta que “marcadores de riesgo como la periodontitis son de gran ayuda para tratar de evitar, reducir o minimizar el impacto de estos desórdenes neurológicos”. De todas las enfermedades neurológicas, en este informe se han analizado las dos sobre las que existe una mayor evidencia científica de su relación con la periodontitis: la enfermedad cerebrovascular y la demencia. Como revela el Dr. José Vivancos, neurólogo y miembro del grupo de trabajo SEPA-SEN, “la principal dificultad a la hora de elaborar el informe ha sido sintetizar toda la literatura disponible al respecto, así como incluir en la medida de lo posible estudios con una buena calidad metodológica”.

El informe reporta la evidencia desde tres puntos claramente definidos: la asociación epidemiológica entre la periodontitis y estas dos enfermedades neurológicas, los mecanismos biológicos que puedan explicar estas asociaciones y los estudios de intervención sobre el efecto del tratamiento periodontal como medida preventiva primaria o secundaria de ictus y demencia 

INVESTIGACIÓN Y EVIDENCIA CIENTÍFICA, PROTAGONISTAS DEL PROGRAMA DEL XX CONGRESO DE SECIB

ElXX Congreso de la Sociedad Española de Cirugía Bucal (SECIB), que se celebrará en Córdoba los días 21, 22 y 23 de septiembre, presentará una vertiente investigadora y basada en la evidencia científica, además de abordar el lado clínico de la Cirugía Bucal, intentando conseguir una adecuada conjunción de ambos enfoques”, tal y como explica el presidente del Congreso, Jose Javier Pinilla.

Para ello el congreso presenta ponentes tanto nacionales como internacionales de alto prestigio científico.

Durante la primera jornada, el día 21, el programa incluye un curso precongreso sobre “Regeneración ósea 3D e la zona estética: ROG con membranas no reabsorbibles PTFE vs. Técnica de Khoury SBB”. A continuación, tendrá lugar la celebración de la Asamblea General de SECIB

y el programa continuará por la tarde con ponencias de Ronar Gudiño, Jorge Galante, José Miguel Cisneros, Manuel María Romero, José Luis Domínguez Mompell, Juan Lara Chao y Argimiro Hernández.

En la jornada del viernes 22, el programa contará con ponentes de la talla de Eduardo Montero, Abdelsalam Elaskary, Antonio Castilla, Carlos Parra, Pablo Galindo, Mª Àngels Sánchez GArcés, Jorge Toledano, Terry Zaniol, Patrick Palacci, Luigi Canullo, David González, Eduardo Anitua, J.V. Bagan, C. Gay Escoda, J.L. Gutierrez, J.M. Seoane y J.M. Aguirre.

El sábado 23, las ponencias correrán a cargo de Adriana Castro, Óscar González, Gustavo Ávila, Ernest Mallat, Giuliano Fragola, Antonio Romero y Juan Ballesteros. 

actualidad EVENTOS, SOCIEDADES Y EMPRESAS 90 eldentistamoderno mayo-junio 2023

MÁS DE

30 PONENTES DE RENOMBRE

MUNDIAL ABORDARÁN EL FUTURO DE LA IMPLANTOLOGÍA EN EL ORAL RECONSTRUCTION GLOBAL SYMPOSIUM

Más de 30 ponentes de renombre mundial abordarán el futuro de la implantología y la regeneración del tejido dental en el Oral Reconstruction (OR) Global Symposium que se celebrará del 18 al 20 de mayo en Roma (Italia) bajo el lema “Quo Vadis Implant Dentistry”. Durante el evento se debatirán numerosos detalles prácticos sobre enfoques terapéuticos clínicos probados y nuevos. Con el OR Global Symposium de Roma, la OR Foundation tiende un puente hacia los congresos internacionales tradicionales. Elegido el año pasado, el Presidente de la OR Foundation, el Dr. Luca Cordaro, ejerce también de Presidente del Congreso. Junto con el comité científico, el Prof. Juan Blanco (España), el Prof. Dehua Li (China), el Prof. Michael Stimmelmayr (Alemania), la Prof. Irena Sailer (Suiza), el Prof. Anton Sculean (Suiza) y la Dra. Homa Zahed (EE. UU.), se ha reclutado a más de 30 ponentes de renombre mundial para que compartan sus conocimientos y experiencia de forma práctica. Juntos presentarán un programa diferenciado y rompedor dirigido a

profesionales de la odontología de todas las áreas de la reconstrucción oral.

La misión de la OR Foundation es impulsar el progreso en beneficio de los pacientes, desde la educación de vanguardia hasta la investigación y la red de especialistas en reconstrucción oral más exclusiva del mundo. “Nuestro objetivo es permitir la mejora continua de los tratamientos mediante una estrecha colaboración con universidades, odontólogos y la industria, a través del intercambio de conocimientos y la presentación de resultados de investigación, especialmente en nuestros simposios”, declaró el Dr. Martin Schuler, Director Ejecutivo de la OR Foundation.

El programa comenzará la mañana del jueves 18 de mayo, con cinco talleres prácticos y dos teóricos, donde los participantes aprenderán diversas técnicas que podrán incorporar a su práctica diaria.

El simposio cuenta con el apoyo de BioHorizons y Camlog, patrocinadores fundadores de la Fundación OR. 

Grupo Acteon® presenta New Acteon®, una iniciativa de transformación de varios años que marca la dirección del Grupo durante la próxima década.

Con más de 70 años de éxito al servicio de los profesionales de la salud dental con las marcas Pierre Rolland, Satelec, Sopro, DeGötzen, Owandy y Prodont Holliger, el Grupo Acteon ha entrado en una nueva fase acelerada de innovación, expansión y digitalización en beneficio de sus clientes en todo el mundo. New Acteon® está cobrando vida gracias a más de 800 colegas dedicados y apasionados de todo el mundo, al servicio de cientos de miles de profesionales de la salud y más de cien millones de pacientes cada año.

La transformación de New Acteon® se basa en tres filosofías fundamentales:

• Ser una organización centrada en el ser humano enfocada en las necesidades de los pacientes y los profesionales de la salud dental;

• Proporcionar soluciones de flujo de trabajo personalizadas que maximicen la eficacia, la eficiencia y la economía generales para lograr los resultados clínicos deseados;

• Ofrecer soluciones de asistencia sanitaria innovadoras e integradas que planteen las continuas necesidades de asistencia médica durante la vida de los pacientes.

La fase actual de la transformación de New Acteon® se basa en una mejora integral y fundamental de los procesos de innovación de productos, servicios y sistemas del Grupo. Históricamente, se han alcanzado niveles récord de inversión para aumentar la línea de desarrollo de productos y la infraestructura de fabricación del Grupo, particularmente en la creación de soluciones integradas de flujo de trabajo. Combinando recursos multifuncionales en los cinco centros de innovación del Grupo con socios externos de nivel mundial y aportes directos de representantes de clientes globales, el Grupo Acteon® lanzará más productos nuevos y actualizaciones en los próximos tres años que en los últimos diez años. 

91 eldentistamoderno mayo-junio 2023
NEW ACTEON, INNOVACIÓN, SERVICIO Y EXPANSIÓN EN BENEFICIO DE LOS PROFESIONALES DE LA SALUD DENTAL Y LOS PACIENTES

QUIRÓNSALUD DENTAL EN BALEARES, “CENTRO DE EXCELENCIA ORO” EN “ALL-ON-4”

Quirónsalud

Dental ha recibido la acreditación de Nobel Biocare como “Centro de Excelencia Oro”, en la realización del tratamiento “All-on-4” de Nobel Biocare. Las clínicas dentales del grupo Quirónsalud en Baleares son las que más rehabilitaciones mediante está técnica han realizado en España en el último año.

Este reconocimiento certifica a Quirónsalud Dental y al doctor Ignacio Ginebreda como expertos en el tratamiento de “All-on-4”, una solución protésica definitiva que desde el primer día mejora la calidad de vida de los pacientes, sin hueso, a los que no se les pueden poner implantes. Ser Centro de Excelencia, nivel oro, de Nobel Biocare implica acreditar que, durante el último año, se han realizado con éxito casos de restauración maxilar completa siguiendo el concepto de tratamiento “All-on-4” y utilizando exclusivamente los materiales de alta calidad del producto original.

Quirónsalud Dental en Baleares ha sido el centro que más casos ha realizado y documentado en el último año, actualmente lidera el grupo de Centros de Excelencia, categoría Oro, en el Tratamiento “All-on-4” a nivel nacional. Confirmando así, una larga trayectoria de buenas prácticas con más de 700 pacientes tratados mediante esta técnica. Una estructura original de arcada completa sin injertos sobre 4 implantes, siempre realizada por los mejores especialistas.

El doctor Ignacio Ginebreda, especialista de Quirónsalud Dental en Baleares y referencia internacional en el campo de la implantología, afirma que “para todo nuestro equipo, convertirnos en “All-on-4 Center of Excellence” es un hito. Un prestigioso reconocimiento y una gran motivación para continuar convencidos de que nuestro trabajo sirve para mejorar la vida del paciente y le devuelve la capacidad de realizar funciones perdidas, con las garantías que ofrece la mejor tecnología, aplicada por especialistas con amplia experiencia”. 

LA UB Y FORESTADENT IMPULSARÁN LA INVESTIGACIÓN EN ORTODONCIA DIGITAL

El pasado 12 de abril se presentó en la Sala de Juntas del Edificio Histórico de la Universitat de Barcelona la nueva Cátedra UB-Forestadent de Ortodoncia Digital. La colaboración entre las dos instituciones tiene como objetivo impulsar la docencia y la investigación de este ámbito de la odontología para optimizar los resultados clínicos y obtener mejoras en la salud de los pacientes. En el acto han participado el rector de la Universitat de Barcelona, Joan Guàrdia; el director general de Forestadent, Stefan Foerster; y el director de la cátedra, Josep Maria Ustrell.

En concreto, en el ámbito de la cátedra se potenciarán los resultados de la oclusión obtenida con los diferentes materiales de la ortodoncia (brackets, alineadores, etc.), la colaboración en innovación docente en ortodoncia o el diseño de nuevos productos y herramientas aplicables a la asistencia ortodóntica contemporánea.

El director de la Cátedra y vicedecano de Odontología, de la Facultad de Medicina y Ciencias de la Salud de la UB, Josep Maria Ustrell, ha afirmado que esta iniciativa es un paso importante para la potenciación de una área esencial de la odontología actual: la ortodoncia digital. “Los pacientes tienen que ser los principales beneficiarios

de las acciones que iniciamos con esta cátedra. Su satisfacción es nuestro objetivo” , ha dicho Ustrell.

El director general de la empresa Forestadent, Stefan Foerster, ha explicado los objetivos de la empresa, una de las principales proveedoras a nivel mundial de productos ortodónticos: “Estamos comprometidos con la innovación, y por eso ahora nos centramos en la digitalización de nuestros servicios. Para nosotros esto es el futuro, y por eso estoy muy orgulloso de la cátedra con la Universitat de Barcelona”. 

actualidad EVENTOS, SOCIEDADES Y EMPRESAS 92 eldentistamoderno mayo-junio 2023

Inscripción a precio reducido hasta el 28 de junio congreso.aede.info

#ATenerifeSeVaUnaSemana

DEXIS™ IOS Solutions, escáneres intraorales para cubrir todo el flujo de trabajo digital

El lanzamiento de la gama DEXIS IOS (escáner intraoral) engloba un conjunto de soluciones intraorales que marcan un hito importante para el sector odontológico. Se trata de una gama completa de sistemas de diagnóstico digital que abarcan todas las etapas del escaneo. DEXIS IOS es la nueva evolución en escáneres intraorales con la que, tanto si el profesional tiene experiencia como si no, existe una solución DEXIS IOS que se ajusta a sus necesidades y mejora los resultados asistenciales.

“Nuestras soluciones intraorales DEXIS cubren el flujo de trabajo digital en su totalidad. Disponemos de todo aquello que necesitan los dentistas para trabajar en un entorno controlado digitalmente”, apunta Mirjam Hermann, directora de Marketing de DEXIS IOS, añadiendo que “DEXIS está trabajando para asegurarse de disponer de una de las carteras de productos más potente y amplia del mercado en el sector de las soluciones intraorales de primera calidad. Además, de cara al futuro, nuestra cartera de productos continuará evolucionando y ofreciendo incluso más oportunidades para mejorar los flujos de trabajo”.

Gama DEXIS IOS: un producto para cada necesidad DEXIS IOS incluye tres niveles de escáneres intraorales: el IS 3600, el IS 3700 y el IS 3800W, así como el nuevo IS Voyager, un conjunto todo en uno de carrito y ordenador, elegante, flexible y ergonómico.

Con todo, el buque insignia de la firma que se define como el escáner más rápido y ergonómico, el IS 3800W diseñado por Studio F.A. Porsche fue galardonado con el premio Red Dot, cuya descripción señalaba que esta solución “muestra una equilibrada simetría y una elegancia minimalista”.

IS ScanFlow

IS ScanFlow es un software que lo une todo para lograr una experiencia aún más fluida. Potente e intuitivo, ofrece la funcionalidad de exportación inmediata a IS Connect, un portal en línea seguro que agiliza y simplifica la transmisión de exploraciones intraorales de impresiones digitales para las consultas.

IS ScanFlow se entrega a los clientes con una configuración abierta e independiente y libre de licencias. Junto con DTX Studio Clinic, se vincula con muchos sistemas de gestión de consultas, lo cual proporciona ahorro de tiempos de consulta, ya que el identificador del paciente sólo debe introducirse una vez.

DEXIS

www.dexis.com

Ticare V2 anticipa la sensación de estabilidad primaria

Ticare V2 es la esencia de Ticare, con un restyling de la geometría externa del implante Ticare.

La espira de doble hilo de estos implantes reduce a la mitad el tiempo de inserción, reduciendo así el calentamiento óseo; además cuenta con un ápice más eficaz que, gracias a un cono más apuntado, aporta estabilidad primaria adicional. Con este cambio en la geometría externa se consigue aún mejor estabilidad primaria, menor tiempo de inserción y se reduce aún más el traumatismo.

Los implantes Ticare V2 aportan la esencia de Ticare, el implante libre de filtración bacteriana que disminuye el riesgo de periimplantitis, con un diseño mejorado que optimiza el comportamiento del implante a corto plazo.

MATERIALES, INSTRUMENTAL Y EQUIPO 94 eldentistamoderno mayo-junio 2023
novedades
www.ticareimplants.com
Ticare
HUYENDO DE UCRANIA TE NECESITAN EMERGENCIA EN UCRANIA DONA AHORA EN Bizum – Código: 01151 ayudaucrania.com ES86 2100 2262 1802 0040 3932
LAS PERSONAS QUE ESTÁN

Salugraft Dental presenta como novedad HyaDENT BG®

HyaDENT BG® es la última novedad de Salugraft Dental. Se trata de un gel estéril de ácido hialurónico de alto peso molecular con una concentración al 1,8% (mezcla de AH cross-linked 1,6% y de AH natural 0,2%), ideal para un óptimo efecto regenerativo.

HyaDENT BG permanece en el sitio varias semanas debido a su lenta degradación. Esta presencia prolongada durante el proceso de cicatrización promueve la cicatrización por regeneración y no por reparación; también se protege la herida gracias a las propiedades bacteriostáticas del producto. Mezclándolo con un material de injerto óseo, además de los beneficios generales del ácido hialurónico, se atrae sangre a esta matriz, se protege el hueso y se mejora el manejo del material de injerto.

HyaDENT BG se presenta en un envase de dos carpules estériles de 1,2 ml.

Salugraft Dental

www.salugraftdental.com

Zirkonzahn amplía su gama de componentes para prótesis sobre implantes

Cuando se elaboran restauraciones sobre implantes es muy importante la óptima precisión de los componentes entre sí. La línea de elementos protésicos de Zirkonzahn para implantes, que incluye Scanmarkers, White Scanmarkers, análogos de laboratorio, ScanAnalogs (que combinan la función del análogo de laboratorio con la función del Scanmarker), pilares de impresión, Multi Unit Abutments, Raw-Abutments® y casquillos de cicatrización, se ha ampliado recientemente con los siguientes nuevos productos:

• Zirkonzahn LOC-Connector: un sistema de fijación a presión para implantes y barras con el fin de sujetar prótesis dentales removibles sobre los implantes.

• Bases de titanio K80 Angled Screw Channel: se pueden cortar individualmente y, por lo tanto, a la longitud del diente y canal de tornillo ajustable (0°- 30°).

• Multi Unit Abutment 17°: caracterizado por un ángulo de 17° y está disponible con dos tipos diferentes de conexión con bloqueo de rotación, que permiten posiciones intermedias.

• White Metal Scanmarkers: scanmarkers reutilizables para registrar digitalmente la posición y la alineación del implante durante el escaneo intraoral o del modelo.

• Bases de titanio K85: se pueden cortar individualmente y, por lo tanto, se pueden adaptar de manera ideal a la longitud específica del diente.

Todos los componentes de Zirkonzahn están disponibles para más de 140 sistemas de implantes y están completamente integrados en el Zirkonzahn.Software. Los pilares de implantes Zirkonzahn tienen una garantía de hasta 30 años, incluyendo los implantes de otros fabricantes utilizados con los abutments de implantes Zirkonzahn. Con el Zirkonzahn Library Download Center también los usuarios de 3shape y exocad® pueden implementar las bibliotecas en su software de diseño. Para comprobar si la gama de componentes de Zirkonzahn es compatible con su sistema de implantes, visite la página web de Zirkonzahn.

Zirkonzahn www.zirkonzahn.es

MATERIALES, INSTRUMENTAL Y EQUIPO 96 eldentistamoderno mayo-junio 2023
novedades
Llámanos 96.342.0478 GENERACIÓN AVANZADA DE ALINEADORES FOCUS ON YOUR SMILE smartee-spain.com

• Aplicaciones: Cirugía Ósea Elevación de Seno Cirugía Periodontal Cirugía Endodóntica

• Tres modos: Cirugía, Endodoncia, Periodoncia (9 programas)

• Modo ráfaga seleccionable

• Intensidad de luz LED regulable

• Modo autolimpieza

• Función de retroiluminación

4.899€* 11.835€*

¡Flash! DESDE EL 1 DE MAYO HASTA EL 30 DE JUNIO DE 2023 Oferta
DE CIRUGÍA ULTRASÓNICA NSK Dental Spain S.A. www.nsk-spain.es Módena, 43 · El Soho-Európolis · 28232 Las Rozas de Madrid - tel: +34 91 626 61 28 · fax: +34 91 626 61 32 · e-mail: info@nsk-spain.es
VarioSurg3 SISTEMA
Incluido: Kit Básico H-SG1 SG3 SG5 SG6D SG7D SG11
VarioSurg3
Y1002726 MODELO VarioSurg3 REF. E1133001
MODELO
REF.
* Los precios no incluyen iva. Ofertas limitadas hasta el 30 de Junio de 2023 o hasta fin de existencias. CON DOBLE LUZ 2ª PIEZA DE MANO CON CABLE

Turn static files into dynamic content formats.

Create a flipbook
Issuu converts static files into: digital portfolios, online yearbooks, online catalogs, digital photo albums and more. Sign up and create your flipbook.