El Dentista Moderno - nº 74

Page 1

@dentistamoderno @eldentistamoderno

@eldentistamoderno @eldentistamoderno

www.eldentistamoderno.com

ENTREVISTAS

• Dra. Agurtzane Meruelo Conde, secretaria del Consejo General de Dentistas de España

• Dra. María Victoria Mateos Moreno, vocal de la Junta Directiva de SESPO

• Dr. Gustavo Ávila Ortiz, coordinador científico de Sepa Sevilla´23

IMPLANTOLOGÍA Y PRÓTESIS

SECIB-DM

Siguiendo la evolución de la Odontología para el profesional del sector llamado a construir el futuro

AUTOTRASPLANTE DENTAL OPINIÓN

SEPA-DM

Trastornos respiratorios: crecimiento y ATM

D4.0 HEALTH AND TECHNOLOGY SOLUTIONS by ORAL MEDICINE INSIDE by

PENSANDO EN EL FUTURO

N úmero 74 • Abril 2023

“Confío en Prime Zirconia, parte de la familia e.max.“

Dr. Luis Cuadrado, Madrid, España.

¡Conozca más sobre Prime Zirconia!

Puede confiar en IPS e.max® ZirCAD Prime en términos de calidad, longevidad, estabilidad y, sobre todo, estética. ¡Recete ya nuestro Prime Zirconia!

ivoclar.com Making People Smile

IMPLANTES CORTOS BTI DESDE SÓLO 4,5 mm.

• Carga inmediata en maxilares atróficos.

• Mayor predictibilidad y menor morbilidad para el paciente.

• Mayor aceptación de tratamientos.

www.bti-biotechnologyinstitute.com

1 eldentistamoderno abril 2023 BTI Biotechnology Institute Tel: (+34) 945 140 024 | info@bticomercial.com | bti-biotechnologyinstitute.es
TRATAMIENTOS CON SOLUCIONES BTI
ACORTA TUS
Radiografía a los 9 años

sumario

DM eldentistamoderno

Número 74 - Abril 2023

En portada:

Imagen de la página 62 correspondiente al artículo de Pensando en el futuro, titulado “Inteligencia Artificial y Ciencias de la Salud: ¿cómo afecta al desempeño de nuestra labor como sanitarios?”

6

EDITORIAL

El flujo digital abre una nueva era para la profesión odontológica y sus pacientes

Por Dr. Carlos Repullo, miembro del Comité Científico de DM Dentista Moderno.

8

ENTREVISTA

“Hay que seguir trabajando para la profesión”

Dra. Agurtzane Meruelo Conde, secretaria del Consejo General de Dentistas de España, presidenta del Colegio de Dentistas de Vizcaya y presidenta del Consejo Vasco de Dentistas

14

IMPLANTOLOGÍA Y PRÓTESIS

La inclusión de premolares supernumerarios. A propósito de un caso

Autores: Dra. Cristina Herráez Galindo y Dr. Daniel Torres Lagares

20

Siguiendo la evolución de la odontología

DIRECTORA

Emiliana Rodríguez Charmes emi.rodriguez@eldentistamoderno.com

SUBDIRECTORA

Beatriz Suárez de la Vega beatriz.suarez@eldentistamoderno.com

REDACCIÓN Y FOTOGRAFÍA

Departamentos propios Versys Ediciones Técnicas

DIRECTOR CIENTÍFICO

Imanol Donnay

COMITÉ CIENTÍFICO

Javier de la Cruz, José Nart, Jesús Daniel Parejo, Juan López Palafox, Miguel Burgueño, Juan Manuel Vadillo, Guillermo Galván, Rafael Martínez de Fuentes, Anna Ramiro, Carlos Repullo, Leticia Rodríguez, Marta Revilla, José María Malfaz, Eva Mª Martínez y Eva López de Castro

DISEÑO Y MAQUETACIÓN

Manuel Beviá

DIRECTORA COMERCIAL ÁREA DE DISTRIBUCIÓN

Mercedes Álvarez mercedes.alvarez@versysediciones.com

DIRECTORA DE CUENTAS DM

Emiliana Rodríguez Charmes emi.rodriguez@eldentistamoderno.com

EJECUTIVA DE CUENTAS DM

Beatriz Montero Fernández de Bobadilla beatriz.montero@eldentistamoderno.com

ENTREVISTA

“Para afrontar los retos de la sanidad pública en materia de Odontología será imprescindible aumentar la inversión en prevención”

Dra. María Victoria Mateos Moreno, especialista en Odontología Preventiva y Comunitaria y vocal de la Junta Directiva de SESPO

26 OPINIÓN

Trastornos respiratorios: crecimiento y ATM

Por: Dra. Mª Julia Bergaglio

30

ENTREVISTA

“El objetivo de Sepa Sevilla’23 es acercar la Periodoncia a tod@s y desde diferentes perspectivas”

Dr. Gustavo Ávila Ortiz, coordinador científico de Sepa Sevilla´23 (31 mayo – 3 junio 2023)

34 REPORTAJE

Estudio Sanitas de Salud Bucodental 2023

40

AUTOTRASPLANTE DENTAL

Autotrasplante dental: control a los 18 años

Autores: Dres. José Espona, Elena Roig, Francesc Abella, Andreu Puigdollers, Joan Grau y Miguel Roig

2 eldentistamoderno abril 2023
SUMARIO
Agurtzane Meruelo Conde, secretaria del Consejo General de Dentistas de España Dra. María Victoria Mateos Moreno, vocal de la Junta Directiva de SESPO • Dr. Gustavo Ávila Ortiz, coordinador científico de Sepa Sevilla´23 IMPLANTOLOGÍA Y PRÓTESIS AUTOTRASPLANTE DENTAL OPINIÓN Trastornos respiratorios: crecimiento y ATM www.eldentistamoderno.com Siguiendo la evolución de la Odontología para el profesional del sector llamado a construir el futuro N úmero 74 • Abril 2023 @dentistamoderno @eldentistamoderno D4.0 HEALTH AND TECHNOLOGY SOLUTIONS by ORAL MEDICINE INSIDE by PENSANDO EN EL FUTURO SEPA-DM SECIB-DM
ENTREVISTAS Dra.
SEPA-DM SECIB-DM
NOVEDAD! LA NUEVA GENERACIÓN EN LÁMPARAS LED CONJUNTO DE 12 LEDS LUCES BLANCA Y NEGRA PARA LOS MODOS DE DIAGNOSIS INTERFAZ SIMPLIFICADA FUNCIÓN ACELERÓMETRO © 2022 Ultradent Products, Inc. All rights reserved. ULTRADENT.ES | info@ultradent.es 696 616 752 Área Norte - 616 982 237 Área Levante - 699 888 731 Área Centro

sumario

Impresión: Gama Color

Depósito Legal: M-33444-2013

ISSN: 2340-9703

ISSN (internet): 2340-9797

68

78

Versys Ediciones Técnicas S.L. Invierno, 17

28850 Torrejón de Ardoz (+34) 912 972 000 administracion@versysediciones.com

CEO

José Manuel Marcos Franco de Sarabia

DIRECTORA DE OPERACIONES

Esther Crespo

DIRECTOR DE EXPANSIÓN Y DESARROLLO

José Manuel Marcos de Juanes

Copyrigth Versys Ediciones Técnicas S.L. La suscripción a esta publicación autoriza el uso exclusivo y personal de la misma por parte del suscriptor. Cualquier otra reproducción, distribución, comunicación pública o transformación de esta publicación sólo puede ser realizada con la autorización de sus titulares. En particular, la Editorial, a los efectos previstos en el art. 32.1 párrafo 2 del vigente TRLPI, se opone expresamente a que cualquier fragmento de esta obra sea utilizado para la realización de resúmenes de prensa, salvo que cuente con la autorización específica. Diríjase a CEDRO (Centro Español de Derechos Reprográficos) si necesita fotocopiar, escanear, distribuir o poner a disposición de otros usuarios algún fragmento de esta obra, o si quiere utilizarla para elaborar resúmenes de prensa (www.conlicencia.com; 917021970/932720447)

Las opiniones y conceptos vertidos en los artículos firmados lo son exclusivamente de sus autores, sin que la revista los comparta necesariamente.

ACTUALIDAD DEL SECTOR DENTAL

NOVEDADES

Equipamiento, instrumental y material protésico, dental y clínico

DENTISTA 4.0

50 HEALTH AND TECHNOLOGY SOLUTIONS by “Talentua quiere ser el socio estratégico en la implantación de soluciones tecnológicas”

Por Juan M. Molina, fundador y CEO de Talentua

58 ORAL MEDICINE INSIDE by Realidad Virtual, una Realidad en el III Congreso Knotgroup. El futuro en la Clínica y la Formación

Por Dr. Didier Delmas y Dr. Rafael Areses

62 PENSANDO EN EL FUTURO Inteligencia Artificial y Ciencias de la Salud: ¿cómo afecta al desempeño de nuestra labor como sanitarios?

Por Dras. Ana Boquete Castro y Karla Daniela Mora Barrios

En portada D4.0: Imagen de la página 58 correspondiente al artículo de Oral Medicine

Inside by Knotgroup, titulado “Realidad Virtual, una Realidad en el III Congreso Knotgroup. El futuro en la Clínica y la Formación”

Fotografía el código QR con el lector de tu smartphone para acceder a El Dentista Moderno

4 el
dentistamoderno abril 2023
SUMARIO
Siguiendo la evolución de la Odontología para el profesional del sector llamado a construir el futuro HEALTH AND TECHNOLOGY SOLUTIONS by “Talentua quiere ser el socio estratégico en la implantación de soluciones tecnológicas” Por Juan M. Molina, fundador CEO de Talentua ORAL MEDICINE INSIDE by Realidad Virtual, una Realidad en el III Congreso Knotgroup. El futuro en la Clínica y la Formación Por Dr. Didier Delmas Dr. Rafael Areses PENSANDO EN EL FUTURO Inteligencia Artificial y Ciencias de la Salud: ¿cómo afecta al desempeño de nuestra labor como sanitarios? Por Dras. Karla Mora y Ana Boquete
Premio de Comunicación SECIB 2019

CONFERENCIAS

Día de los Héroes

JUAN SAMPOL

“Protocolo en rehabilitación”

Veremos la importancia de la correcta posición del maxilar con el PlaneFinder ® como paso inicial en la rehabilitación, seguido de los pasos para llegar a obtener la correcta relación intermaxilar. Partiendo de un enfoque global, se integra el sistema estomatognático con el resto del organismo, para posteriormente proceder con la planifi cación de las restauraciones.

LUIS MACIEIRA

“Lo que sabemos y lo que no sabemos de nuestro trabajo”

El trabajo de un técnico protésico dental está en constante evolución. Somos artesanos, conocemos los materiales a disposición y damos lo mejor al hacer nuestro trabajo manual; tenemos la cultura de hacerlo “a nuestra manera”. La conferencia tratará sobre los aspectos relacionados con las estructuras sobre implantes, que tal vez no controlamos o no hacemos con los conocimientos necesarios.

SAMUELE ZANINI

“Hablemos de estética”

En esta conferencia se hablará de restauraciones removibles, la impresora 3D P4000, la zirconia Prettau ® y se mostrarán algunos casos usando las nuevas pastas cerámicas Fresco Ceramics.

ENRICO STEGER

“Desde las carillas más fi nas hasta casos complejos con implantes divergentes”

Se hablará sobre la Prettau ® Skin ® (veneers ultra fi nas de zirconia Prettau ®). Se destacará cómo obtener un trabajo de fricción telescópico a través de la precisión de la línea de fresadoras confort M2. Se tratará la técnica Double Screw Metal para elaborar restauraciones estéticas sobre implantes divergentes.

EXPOSICIÓN

ESCÁNER INTRAORAL DETECTION EYE COMPONENTES PROTÉSICOS DE IMPLANTES

SISTEMA JAWALIGNER

SOFTWARE ZIRKONZAHN.MODIFIER

VARIEDAD DE MATERIALES

FRESADORA M6 CON FUNCIÓN DE CAMBIO DE BLOQUES

LÍNEA DE FRESADORAS CONFORT M2

Para más información e inscripción por teléfono o correo electrónico, ¡póngase en contacto con nosotros!

- Stefanie Leitner, Zirkonzahn Headquarters, +39 0474 066 683, stefanie.leitner@zirkonzahn.com

- Jordi Batlle, Zirkonzahn Ibérica, +34 937 290 390, jordi.batlle@zirkonzahn.com

5 eldentistamoderno abril 2023 Zirkonzahn Ibérica – T +34 937 290 390 – iberica@zirkonzahn.com – www.zirkonzahn.com Zirkonzahn Worldwide – T +39 0474 066 680 – info@zirkonzahn.com – www.zirkonzahn.com
| Barcelona
INFORMACIÓN
13/05/2023
MÁS
SISTEMA P4000 PARA LA IMPRESIÓN 3D

EL FLUJO DIGITAL ABRE UNA NUEVA ERA PARA LA PROFESIÓN ODONTOLÓGICA Y SUS PACIENTES

La constante evolución de la tecnología y su rápida implantación en la clínica dental está generando un nuevo desarrollo de productos y servicios asociados al flujo digital que ya podríamos denominar como la Digitalización 2.0. Una vez que el clínico afronta la digitalización de la consulta y supera la tan temida curva de aprendizaje, principalmente implementando la impresión digital con escáner intraoral y la radiología 3D, comienza a generar un volumen de información tan importante, que requiere de una correcta gestión para optimizar las múltiples posibilidades que nos ofrece esta tecnología.

No es sólo una cuestión de almacenamiento, es disponer de las herramientas necesarias para el tratamiento de los datos que obtenemos de nuestros pacientes y que tienen aplicación en todos los procedimientos, tanto administrativos como clínicos, que realizamos en nuestro día a día.

La industria dental lleva tiempo desarrollando el concepto de servicio asociado al producto, de tal forma que el usuario de un escáner intraoral podía tener acceso a un portal que le permitía la comunicación con el laboratorio; un usuario de un CBCT podía tener acceso a un programa de planificación de implantes y diseño de guías quirúrgicas; o un usuario de un programa de gestión podía acceder al servicio de almacenamiento en la nube.

Actualmente, con la incorporación de la inteligencia artificial y de la asistencia en remoto, se han multiplicado las posibilidades y se han simplificado los procesos, haciendo estos servicios mucho más atractivos para el clínico. Las grandes compañías, conscientes del gigantesco volumen de este negocio, ya han movido ficha y recientemente hemos visto aparecer un interesante producto de la mano de una empresa pionera en el desarrollo digital de nuestro sector.

Partiendo de un almacenamiento en la nube, donde de forma automática se carga la información desde los diferentes dispositivos, CBCT, escáner intraoral, radiografía intraoral…, se ofrecen todos los servicios asociados al flujo digital.

Podemos acceder fácilmente a toda la información clínica de nuestros pacientes desde cualquier dispositivo, compartirla con otros compañeros o miembros de nuestro equipo de una forma segura y utilizar las aplicaciones implementadas en este portal, utilizar online programas de visualización de todo tipo de imágenes y archivos como STL o DICOM, inteligencia artificial para el diagnóstico a través de la imagen, diagnóstico y tratamiento ortodóncico, diagnóstico y tratamiento con implantes, acceso a los servicios del laboratorio dental, asistencia remota...

Sin ninguna duda, estamos ante un nuevo paso en el desarrollo tecnológico de nuestra profesión y de una nueva vía para el tratamiento del paciente bajo el flujo digital.

Ya nos hemos comprado el iPhone, ahora tendremos que contratar Spotify, Netflix, iCloud...

6 eldentistamoderno abril 2023
EDITORIAL
Dr. Carlos Repullo Miembro del Comité Científico de DM Dentista Moderno. Miguel Burgueño Javier de la Cruz Guillermo Galván Eva López de Castro Juan Manuel Vadillo Marta Revilla José María Malfaz Eva Mª Martínez Anna Ramiro Director Científico de DM Dentista Moderno. Dr. Imanol Donnay Leticia Rodríguez José Nart Rafael Martínez Juan López Palafox Jesús Daniel Parejo

¡Abrimos un nuevo centro de experiencias para los profesionales del sector dental! Podrás conocer los últimos avances tecnológicos en equipamiento, asistir a formaciones, talleres, ponencias, eventos o realizar demostraciones en directo.

FastTrack

Hemos diseñado este servicio para ofrecerte asesoramiento en remoto. Nuestros especialistas estarán a tu disposición para realizarte demostraciones en directo del software y del equipo en el que estés interesado.

Te ofrecemos soluciones para todas las necesidades de tu clínica o laboratorio dental. Financiación, consultoría, formación, interiorismo, software de gestión, selección de personal, traspaso de clínicas y... ¡mucho más!

¡LO ÚLTIMO EN EQUIPAMIENTO DENTAL!

Te ofrecemos una amplia selección de las mejores marcas del sector, tanto de clínica como de laboratorio dental.

Además, contamos con marcas exclusivas como:

Calidad sobresaliente en productos de marca propia

Contamos con más de 300.000 productos en inventario y trabajamos con más de 400 proveedores.

7 eldentistamoderno abril 2023 • SERVICIOS • EQUIPAMIENTO • CONSUMIBLES • PARA TU NEGOCIO DENTAL HENRY SCHEIN Call Center: 900 102 222 | WhatsApp: 682 839 482 | www.henryschein.es

“HAY QUE SEGUIR TRABAJANDO PARA LA PROFESIÓN”

Dra. Agurtzane Meruelo Conde, secretaria del Consejo General de Dentistas de España, presidenta del Colegio de Dentistas de Vizcaya y presidenta del Consejo Vasco de Dentistas

Tras ser galardonada en los Premios Sanitarias 2023 en la categoría de Odontología, la Dra. Agurtzane Meruelo Conde, secretaria del Consejo General de Dentistas de España, presidenta del Colegio de Dentistas de Vizcaya y presidenta del Consejo Vasco de Dentistas, nos habla en esta entrevista sobre la importancia de implicarse en la profesión para defenderla y mejorarla, y de la evolución del papel de la mujer en la Odontología hasta la actualidad.

 DM.- Ha sido usted la primera presidenta del Colegio de Dentistas de Vizcaya y la primera secretaria del Consejo General de Dentistas de España. ¿Qué significa para usted haber sido la primera mujer en ocupar sendos cargos?

Dra. Agurtzane Meruelo Conde (Dra. A.M.C.).Cuando acabé mi licenciatura en 1991, las Juntas de los Colegios estaban formadas en su mayoría por compañeros. Sin embargo, en nuestro Colegio las mujeres han sido partícipes de las decisiones

desde hace muchos años, como nuestra apreciada Dra. Eloisa Basañez, fallecida en 2021. Ella comenzó a trabajar en 1950, formó parte de la Junta de 1989 a 1973 y siempre mantuvo relación con actividades del Colegio. Por lo tanto, veíamos normal que tanto los compañeros como nosotras pudiéramos compartir profesión y decisiones acerca de ésta. Desde el año de mi colegiación, me pareció una actitud responsable acercarme al Colegio, acudiendo a las asambleas y festividades. Con el paso del

entrevista ENTREVISTA 8 eldentistamoderno abril 2023

tiempo me propusieron participar en una candidatura formada principalmente por profesores de la Universidad del País Vasco (UPV), posteriormente me incluyeron en la Comisión Deontológica y ya en el 2002, con el Dr. Salva Landa, formé parte de una nueva Junta, presidiendo la Comisión Científica durante 16 años. El paso de vocal a vicepresidenta con el Dr. José Fika fue una breve transición a la Presidencia que asumí en 2018. Algo que nunca creí, ya que siempre pensé que era políticamente incorrecta, por decir siempre alto y claro lo que pienso. Desde diciembre de 2018 formo también parte del Comité Ejecutivo del Consejo General de Dentistas de España, fecha en que me llamó Óscar Castro mientras yo participaba en un raid de todoterrenos por Marruecos; creo que fue el calor del desierto el que me hizo aceptar su propuesta, no fui capaz de ver el trabajo que se me echaría encima. He estado 4 años de vocal y desde junio pasado he tomado el cargo de secretaria del Consejo General de Dentistas de España.

Cuento todo el proceso para que las jóvenes vean como algo normal el hecho de implicarse en algo tan cercano y a la vez lejano de nuestro día a día, como es el Colegio y el Consejo. Tenemos que acostumbrar a los jóvenes –y a los no tan jóvenes–que para poder exigir, primero debemos poner un poco de nuestro tiempo y dedicarlo también a la defensa de la profesión.

El llegar a estos cargos siendo mujer, al principio me impuso una cierta responsabilidad, tenía que hacerlo bien, pero nunca me he sentido más ni

menos por el tema de mis cromosomas. Creo que todos somos ante todo personas y debemos dar lo mejor de nosotros mismos cada día.

 DM.- Este año ha sido galardonada en los Premios Sanitarias 2023 en la categoría de Odontología. ¿Qué supone este reconocimiento?

9 eldentistamoderno abril 2023
Desde junio de 2022, la Dra. Agurtzane Meruelo ha tomado el cargo de secretaria del Consejo General de Dentistas de España. En la imagen, los miembros del Comité Ejecutivo del Consejo General de Dentistas de España.

Dra. A.M.C.- Satisfacción, orgullo y alegría. No voy a negar que conseguir este premio después de los años tan duros que hemos pasado, supuso una alegría. Satisfacción por saber que los que me conocen me felicitasen y me dijeran que lo merecía. Y orgullo de tenerlo presente todos los días en mi despacho, para recordarme que hay que seguir trabajando para la profesión.

 DM.- Recientemente, desde el Consejo General de Dentistas de España han resaltado la importante presencia de las mujeres en la Odontología española, ya que el 57,95% de los dentistas colegiados en nuestro país son mujeres. ¿Cómo ha evolucionado el papel de la mujer en el sector en los últimos años?

Dra. A.M.C.- Como he dicho antes, hace 30 años eran pocas las mujeres presentes en la profesión. Recuerdo una reunión de la Sociedad Española de Prótesis Estomatológica, donde éramos sólo 2 las mujeres presentes. Los ponentes de los congresos eran todos hombres, los organizadores, los miembros de tribunales de Doctorados...

En la primera promoción de Odontología éramos igual número de mujeres que hombres; hoy, casi 32 años después, hay una mayoría de mujeres en las aulas de Odontología. Hay muchas mujeres profesoras, dictantes de cursos, organizadoras de congresos, miembros de juntas y presidentas de Colegios.

Actualmente vemos que, con la jubilación, va disminuyendo el número de compañeros y subiendo el de las compañeras. En mi Colegio somos actualmente un 60% mujeres.

 DM.- Además, cabe destacar que el número de mujeres dentistas ha aumentado en 1.372 profesionales. ¿Cómo se ha reflejado este crecimiento en la escala de responsabilidades de las mujeres en el sector? ¿Cómo se debe fomentar la presencia de la mujer en posiciones destacadas?

Dra. A.M.C.- En mi Colegio tenemos la representación del porcentaje en la Junta: 5 mujeres y 3 hombres, que representan a ese 60% . Poco a poco será mayor, sin quererlo, ya que somos más mujeres en la profesión. No voy a negar que en mi primer mandato fue difícil encontrar mujeres jóvenes que se unieran a la candidatura. Dedicar tiempo libre o tiempo de familia de forma altruista cuando se es joven no entra en los planes de muchas colegiadas. La mayoría me contestaban que preferían dedicar ese tiempo extra tras el trabajo a la familia. Y lo entiendo, muchas veces nuestro trabajo en las consultas tiene una carga física y psicológica que anima poco a seguir peleando cuando puedes tener más satisfacción familiar.

 DM.- ¿Cómo se aplicará el anteproyecto de ley de representatividad paritaria entre hombres y mujeres aprobado recientemente por el Gobierno y que afecta a los Colegios Profesionales y los Consejos Generales?

Dra. A.M.C.- Creo que para la fecha de entrada en vigor de este anteproyecto de ley para los Colegios y el Consejo (30 de junio de 2026) ya se habrá llegado al 40% del género menos representado de una forma natural por lo que he comentado antes: mayor número de mujeres que hombres en nuestra profesión. Tal vez tendremos que ajustar las cifras para mantener un 40% compañeros en los puestos de representación y que en el futuro no los ocupemos sólo mujeres (risas).

 DM.- Respecto al escenario socioeconómico con el alza de la inflación en los últimos meses, ¿cómo afecta la subida de precios a las clínicas dentales?, ¿qué líneas de actuación se han de tomar a este respecto?

ENTREVISTA 10 eldentistamoderno abril 2023
entrevista
En el Colegio de Dentistas de Vizcaya somos actualmente un 60% mujeres
La Junta de Gobierno del Colegio de Dentistas de Vizcaya, presidida por la Dra. Agurtzane Meruelo Conde (en el centro).

Dra. A.M.C.- En las clínicas estamos acostumbrados a asumir menores márgenes económicos de forma histórica. Ya en el 2015 sufrimos la subida del IVA de los productos dentales llegando al 21%, sin que la mayoría de los dentistas repercutiéramos esta subida en los precios de nuestros honorarios. Actualmente estamos realizando contactos con las Administraciones y con los representantes de FENIN para conseguir una rebaja del IVA. También podemos apreciar que no hay un encarecimiento de los honorarios de los tratamientos dentales en tan gran escala a cómo se está sufriendo en otros campos.

 DM.- La creación de las especialidades en el campo de la Odontología es uno de los objetivos perseguidos por el Consejo General de Dentistas de España. ¿Por qué consideran que la creación de una formación especializada para los dentistas es una necesidad en nuestro país?

Dra. A.M.C.- La odontología en España no tiene especialidades. En el resto de países europeos cuentan con al menos una especialidad dental legalmente reconocida. La Ortodoncia ocupa el primer lugar seguida por la Cirugía Oral. Nuestros estudiantes aspiran a tener acceso a las especialidades ya que se encuentran de esta manera en inferioridad de condiciones cuando salen al extranjero con su titulación.

Actualmente en España un dentista puede decirse que tiene “dedicación en exclusiva” en tal o cual

materia, pero nunca podrá llamarse especialista mientras éstas no sean reconocidas. Esto no quiere decir que en el futuro el que no sea especialista no pueda realizar esos tratamientos, ya que la titulación de Odontología da las capacidades para realizar todos los tratamientos en la zona bucal y perioral.

11 eldentistamoderno abril 2023
La Dra. Agurtzane Meruelo Conde junto al viceconsejero vasco de Salud, Jose Luis Quintas Diez. La Dra. Agurtzane Meruelo Conde ha recibido recientemente el Premio Sanitarias 2023 en la categoría de Odontología.

 DM.- Actualmente, ¿qué acciones están llevando a cabo desde la Organización Colegial para avanzar en este propósito?

Dra. A.M.C.- Desde el Consejo se están llevando a cabo las tareas necesarias junto con la conferencia de decanos, Universidades, Ministerios... Son trámites de largo recorrido y sabemos que, aunque se conseguirá, no es una tarea fácil.

 DM.- Usted es especialista en Rehabilitación Oral y Epidemiología, ¿qué le llevo a especializarse en estas dos disciplinas? ¿Qué es lo que más le apasiona de cada uno de estos campos?

Dra. A.M.C.- Cuando acabé mi licenciatura y como preparación para mi Doctorado, realicé estudios de Especialista Universitario en esas dos áreas. La rehabilitación oral engloba todas las asignaturas y todos los posibles tratamientos a realizar en los pacientes, da una visión de conjunto de nuestras habilidades. Realmente es lo que hago en mi día a día en mi consulta, trato de una forma global a mis pacientes. La epidemiología es la parte de las matemáticas que en nuestro campo nos permite estudiar la distribución, frecuencia y los determinantes de las enfermedades orales. En mi caso era necesario para analizar las variables y los resultados del estudio de mi tesis doctoral.

 DM.- Desde su visión profesional ¿en qué momento considera que se encuentra actualmente la profesión dental y a qué retos se enfrenta en estos próximos años?

Dra. A.M.C.- Afortunadamente puedo decir que contamos con profesionales de reconocido prestigio mundial. La formación continua, la mejora de las tecnologías, la digitalización... Todo va a una velocidad que a veces da vértigo y continuará así los próximos años. Los jóvenes trabajan con herramientas que hace 30 años era impensable tener en cualquier consulta, esto es un hecho.

Pero lamentablemente vemos la falta de relevo generacional en las consultas tradicionales.

El dentista de cabecera, el dentista cercano que atendía a sus pacientes de toda la vida, ve que ante su jubilación son pocos los jóvenes que se animan a relevarle y continuar con ese tipo de clínicas. Prima entre los jóvenes el sentimiento de trabajo a sueldo, sin inversiones en maquinaria ni en locales costosos. Desde los Colegios analizamos este problema e intentamos poner en contacto a los jóvenes y los mayores para que este relevo pueda ser favorable a largo plazo para ambos. 

ENTREVISTA 12 eldentistamoderno abril 2023
entrevista
Desde los Colegios intentamos poner en contacto a los jóvenes y los mayores para que el relevo generacional en las consultas tradicionales pueda ser favorable a largo plazo para ambos

UN SIGLO DE INNOVACIÓN

Llevamos 100 años apoyando a odontólogos, protésicos e higienistas dentales, tanto profesional como personalmente, en el cumplimiento de su pasión y propósito: garantizar que las personas tengan la mejor salud bucodental y calidad de vida posibles. Nos inspira saber que juntos crecemos mejor, hoy, mañana y en el futuro.

ivoclar.com

Making People Smile

Landesarchiv, SgAV_01_060_006_002 / Fotografía:
Créditos fotográficos: Liechtensteinisches
Walter Wachter, Schaan

LA INCLUSIÓN DE PREMOLARES SUPERNUMERARIOS. A PROPÓSITO DE UN CASO

A pesar de que en la mayoría de los casos el diagnóstico de dientes supernumerarios incluidos resulta un hallazgo casual, resulta imprescindible que, una vez diagnosticado, su tratamiento sea precoz, dado el alto riesgo de daño de dientes u otras estructuras anatómicas adyacentes. Además, debido al riesgo de desarrollo de complicaciones patológicas como la formación de quistes, en la mayoría de los casos estos dientes acaban siendo exodonciados.

Introducción

Un diente incluido es aquel que, pasada la etapa eruptiva, no llega a erupcionar [1,2]. Dentro de este grupo se distinguen los dientes impactados (aquellos que detienen su erupción por una barrera física visible radiológicamente, como puede ser un diente supernumerario, o bien por una angulación anómala) o dientes retenidos (si no se observa ninguna barrera o angulación que pueda condicionar su erupción) [3].

Aunque en condiciones normales los dientes que más frecuentemente aparecen incluidos son los terceros molares seguidos de los caninos superiores, en el caso de los dientes supernumerarios se observa un mayor número de casos a nivel interincisal del maxilar superior (mesiodens) [3,4].

La etiopatogenia de los dientes supernumerarios no es del todo conocida a día de hoy, aunque en la literatura se habla de una combinación de aspectos genéticos y factores medioambientales; siendo la causa más extendida una hiperactividad de la lámina dental [4].

Descripción del caso

Mujer de 35 años de edad sin antecedentes médicos de interés, acude al Servicio de Cirugía Oral y Maxilofacial del Hospital Universitario Virgen del Rocío, tras ser derivada por hallazgo de diente supernumerario en la ortopantomografía de revisión que se le hizo tras referir abultamiento palpable a nivel lingual del cuarto cuadrante.

A la exploración intraoral se observaba abombamiento de la cortical lingual en la zona derecha de la mandíbula (Fig. 1). Se realizó un CBCT donde se pudo observar que el diente supernumerario tenía aspecto de premolar, estando alojado de manera

cabalgada entre lingual y vestibular (la corona del diente se encontraba por la zona linguodistal del 44, mientras su raíz se localizaba a nivel interradicular, en íntimo contacto con el nervio dentario inferior.

Dada la cercanía a las raíces de los dientes adyacentes y el riesgo de rizólisis de las mismas, se optó por realizar la exodoncia, utilizando para ello anestesia local de la zona (Fig. 2).

Tal y como se puede observar en las imágenes (Fig. 3 y 4) se realizó una incisión sulcular siguiendo el surco gingivodentario lingual sin descargas para despegar un colgajo a espesor total que facilitó un campo quirúrgico suficiente como para poder realizar la ostectomía hasta descubrir la corona del diente (Fig. 5).

La ostectomía se realizó de manera cuidadosa, tanto con el colgajo y las estructuras del suelo de boca, como con los dientes adyacentes y sus raíces. En este caso el diente no requirió odontosección, por lo que su exodoncia pudo ser completada usando un botador recto y unas pinzas adson para su retirada del alveolo (Fig. 6).

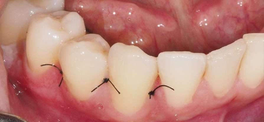
Una vez finalizada la intervención se procedió a realizar sutura interpapilar con sutura monofilamento 5/0 (Fig. 7 y 8).

A la paciente se le prescribió una pauta antibiótica postoperatoria de Amoxcilina 500 mg 1/8h durante 5 días, sumada al uso de Ibuprofeno 600 mg con Paracetamol 1g como analgésico de rescate. Fueron pautados enjuagues con clorhexidina 0,2% a partir de las 24 horas de la intervención, revisando la zona a la semana, momento en que se retiró la sutura y se pudo comprobar que la paciente no presentaba ninguna alteración sensitiva en la zona (Fig. 9).

IMPLANTOLOGÍA Y PRÓTESIS 14 eldentistamoderno abril 2023
caso clínico
Dra. Cristina Herráez Galindo Odontóloga, Cirugía bucal. Doctorada en Odontología cum laude por la Universidad de Sevilla. Dr. Daniel Torres Lagares Dr. Daniel Torres, catedrático de Cirugía Bucal y codirector del Máster de Cirugía Bucal de la Universidad de Sevilla. Presidente de SECIB .

SECIB-DM

15 eldentistamoderno abril 2023
3 4 5 6
Figuras 1 y 2. Situación inicial y anestesia. Figuras 3 y 4. Incisión y despegamiento del colgajo lingual festoneado.
1 2
Figuras 5 y 6. Ostectomía y exodoncia con botador tipo elevador recto.

caso clínicoIMPLANTOLOGÍA Y PRÓTESIS

16 eldentistamoderno abril 2023
8
7
Figuras 7 y 8. Zona quirúrgica suturada desde una visión oclusal y vestibular.

Discusión

Los dientes supernumerarios pueden tomar forma de todas las series dentarias cuando se tratan de supernumerarios eumórficos (es decir, aspecto normal) o con una morfología atípica como diente conoide, tuberculado, infundibular o molariforme (todos ellos conocidos como heteromórficos) [5,6]. En todos los casos es mucho más frecuente su aparición en la dentición definitiva que en la decidua o temporal, aunque también han sido registrados casos en la literatura [5-8]. La gran mayoría de los dientes supernumerarios se alojan a nivel de la premaxila, destacando el grupo de los mesiodens como los más frecuentes [5,8,9]. Generalmente este tipo de dientes extra son más frecuentes en hombres, y algunos autores han demostrado una mayor frecuencia de aparición en grupos hispanos con respecto a otras ascendencias [3,9]. Se ha confirmado la mayor frecuencia de aparición de estos dientes a nivel de la premaxila, sin embargo, en los casos en que se localizan a nivel mandibular sí que es muy frecuente su aparición en la región premolar, como el caso que presentamos. A pesar de todo, los premolares supernumerarios son un hecho poco frecuente, suponiendo entre el 8 – 10% de todos los supernumerarios, sólo apareciendo en una prevalencia comprendida entre 0,075 y 0,26% [5,6,10-12]. Además, en el caso de los supernumerarios ubicados en la región premolar, se ha visto que en el 75% de los casos estos se ubican en la zona lingual mandibular [8,11], lo que coincide en parte con el caso que presentamos, ya que, aunque el abordaje fuera lingual, el diente se encontraba cabalgado entre ambas zonas de la mandíbula (la raíz estaba localizada a nivel vestibular, en la cercanía de la salida del agujero mentoniano).

Este abordaje obliga al operador al conocimiento del área del suelo de boca, conociendo exactamente la ubicación de las glándulas salivales mayores, la inserción de la musculatura milohioidea y submandibular, así como la inervación [2,13]. En algunos casos estos dientes están ubicados en la periferia del conducto del nervio dentario inferior, como es el caso reportado por Ehsan y cols, donde esta cercanía ocasionó alteraciones neurosensoriales en el paciente [14].

De todos estos dientes, la mayoría de los casos son apariciones únicas, aunque también quedan registrados casos de supernumerarios que aparecen de forma bilateral [15] o múltiple (menos del 1%) [16].

En este último grupo destacan aquellas inclusiones de supernumerarios asociados principalmente a 20 síndromes entre los que se encuentran el síndrome de Marfan, la displasia cleidocraneal o el síndrome de Gardner [4,5,10,16].

En los casos de inclusiones múltiples, como se han registrado en algunos casos de la literatura [4,10,11,16], el tratamiento es idéntico a los casos uni o bilaterales. En los últimos años, además del uso extendido de la tomografía de haz cónico (CBCT), se han visto casos donde la tecnología ha ayudado a reducir posibles complicaciones durante estas extracciones de supernumerarios múltiples, ubicados a veces muy cerca de estructuras como el canal del nervio dentario inferior, el seno maxilar o las raíces de los dientes adyacentes. Jo C y cols presentaron un dispositivo de férula guiada producido a partir del sistema CAD/CAM basado en un escaneado previo del paciente fusionado con el CBCT, lo que ayudó enormemente durante la cirugía [17].

17 eldentistamoderno abril 2023
Figura 9. Revisión a la semana de la cirugía.

caso clínicoIMPLANTOLOGÍA Y PRÓTESIS

Wang J y cols seguidos del grupo de Retana y cols dieron un paso más, desarrollando la exodoncia a través de un sistema dinámico de cirugía consistente en un sistema de navegación, mediante el cual se conecta la pieza de mano, permitiendo una guía en directo de la localización quirúrgica, lo que logra minimizar enormemente complicaciones y daños iatrogénicos como daño a raíces adyacentes, desplazamiento de dientes, formaciones de fístulas o traumatismo sobre estructuras vitales. Este tipo de dispositivos de cirugía guiada dinámicamente han sido ampliamente utilizados en el campo de la Medicina, destacando especialidades como la cirugía maxilofacial o la neurocirugía [18,19.] No todos los autores optan por la exodoncia de este tipo de dientes, debido a los riesgos que comprende en algunas ocasiones, sin embargo, en casi todos los casos se defiende la exodoncia de los dientes retenidos [16,20]. Los riesgos en caso de permanecer en boca son la reabsorción externa de raíces adyacentes, creación de quistes dentígeros, maloclusiones o afectaciones en la morfología

Bibliografía

1. Hupp JR. Principios de tratamiento de los dientes retenidos. Cirugía Oral y Maxilofacial Contemporánea. 6ª ed. Barcelona, España: Elsevier Inc.; 2014. 1742. Donado-Rodríguez M, Donado-Azcárate A. Anatomía aplicada a la exodoncia. En: José María Martínez González, editor. Cirugía Bucal. Patología y técnica. 4ª ed. Barcelona, España: Elsevier Inc.; 187-190

3. Gay-Escoda C, de la Rosa-Gay C. Dientes incluidos. Causas de la inclusión dentaria. Posibilidades terapéuticas ante una inclusión dentaria. Tratado de Cirugía Bucal. 1ª ed. Madrid, España: Ergon S.A.; 2015. 341-354

4. Gunduz K, Avsever H, Orhan K, Canitezer G, Acikgoz A, Oz U, Midilli M. A multi-centre evaluation of multiple supernumerary premolar prevalence. Aust Orthod J. 2015 Nov;31(2):149-56. PMID: 26999887.

5. Gay-Escoda C, Mateos-Micas M, España-Tost A, Gardallo-Albiol J. Otras inclusiones dentarias. Mesiodens y otros dientes supernumerarios. Dientes temporales supernumerarios. Dientes temporales incluidos. Tratado de Cirugía Bucal. 1ª ed. Madrid, España: Ergon S.A.; 2015. 497-534.

6. Chen KC, Huang JS, Chen MY, Cheng KH, Wong TY, Huang TT. Unusual Supernumerary Teeth and Treatment Outcomes Analyzed for Developing Improved Diagnosis and Management Plans. J Oral Maxillofac Surg. 2019 May;77(5):920-931. doi: 10.1016/j.joms.2018.12.014. Epub 2018 Dec 27. PMID: 30682325.

7. Alling CC 3rd, Catone GA. Management of impacted teeth. J Oral Maxillofac Surg. 1993 Jan;51(1 Suppl 1):3-6. doi: 10.1016/0278-2391(93)90004-w. PMID: 8419585.

del diente definitivo [5,8,15,16,19]. Aún así, durante la exodoncia también se asumen ciertos riesgos como daño a estructuras adyacentes o incluso desplazamiento del diente a zonas vecinas como el seno maxilar [19].

Los premolares supernumerarios incluidos generalmente resultan asintomáticos, siendo diagnosticados en muchas ocasiones durante estudios ortodóncicos de estos pacientes o revisiones odontológicas generales; de hecho, tan sólo el 2% de estos llegan a comportarse de manera patológica [16].

Conclusiones

A pesar de que en la mayoría de los casos el diagnóstico de dientes supernumerarios incluidos resulta un hallazgo casual, resulta imprescindible que, una vez diagnosticado, su tratamiento sea precoz, dado el alto riesgo de daño de dientes u otras estructuras anatómicas adyacentes. Además, debido al riesgo de desarrollo de complicaciones patológicas como la formación de quistes, en la mayoría de los casos estos dientes acaban siendo exodonciados. 

8. Donado-Rodríguez M, Martínez-González JM. Dientes incluidos. En: José María Martínez González, editor. Cirugía Bucal. Patología y técnica. 4ª ed. Barcelona, España: Elsevier Inc.; 277-288

9. McBeain M, Miloro M. Characteristics of Supernumerary Teeth in Nonsyndromic Population in an Urban Dental School Setting. J Oral Maxillofac Surg. 2018 May;76(5):933-938. doi: 10.1016/j.joms.2017.10.013. Epub 2017 Oct 16. PMID: 29127774.

10. Moradinejad M, Hashemi Ashtiani A, Rakhshan V. Multiple Nonsyndromic Unerupted Supernumerary Teeth: A Report of a Rare Case. Case Rep Dent. 2022 Mar 29;2022:4063856. doi: 10.1155/2022/4063856. PMID: 35392488; PMCID: PMC8983268.

11. Hyun HK, Lee SJ, Ahn BD, Lee ZH, Heo MS, Seo BM, Kim JW. Nonsyndromic multiple mandibular supernumerary premolars. J Oral Maxillofac Surg. 2008 Jul;66(7):13669. doi: 10.1016/j.joms.2007.08.028. PMID: 18571018.

12. Dawasaz AA, Sadatullah S, Bokhari SK. Fused double supernumerary premolars of the mandible: a rare case. Case Rep Dent. 2012;2012:734670. doi: 10.1155/2012/734670. Epub 2012 Dec 17. PMID: 23346423; PMCID: PMC3533613

13. La’porte SJ, Juttla JK, Lingam RK. Imaging the floor of the mouth and the sublingual space. Radiographics. 2011 Sep-Oct;31(5):1215-30. doi: 10.1148/rg.315105062. PMID: 21918039.

14. Ehsan D, Tu HK, Camarata J. Mandibular supernumerary tooth causing neurosensory changes: a case report. J Oral Maxillofac Surg. 2000 Dec;58(12):1450-1. doi: 10.1053/joms.2000.19213. PMID: 11117700.

15. Satish V, Panda S, Maganur P, Ahmed A. Multiple Bilateral Unerupted Supplemental Premolars: An Unusual Presentation in a Nonsyndromic Patient. Int J Clin Pediatr Dent. 2017 Apr-Jun;10(2):217-222. doi: 10.5005/jp-journals-10005-1439. Epub 2017 Jun 1. PMID: 28890628; PMCID: PMC5571397.

16. Gupta S, Goswami M. Asymptomatic nonsyndromic multiple supernumerary premolars. Int J Clin Pediatr Dent. 2012 Jan;5(1):84-6. doi: 10.5005/ jp-journals-10005-1141. Epub 2012 Feb 24. PMID: 25206142; PMCID: PMC4093632.

17. Jo C, Bae D, Choi B, Kim J. Removal of Supernumerary Teeth Utilizing a Computer-Aided Design/Computer-Aided Manufacturing Surgical Guide. J Oral Maxillofac Surg. 2017 May;75(5):924.e1-924.e9. doi: 10.1016/j. joms.2016.11.002. Epub 2016 Nov 12. PMID: 27914227.

18. Wang J, Cui NH, Guo YJ, Zhang W. Navigation-Guided Extraction of Impacted Supernumerary Teeth: A Case Report. J Oral Maxillofac Surg. 2017 Jun;75(6):1136. e1-1136.e5. doi: 10.1016/j.joms.2017.02.001. Epub 2017 Feb 14. PMID: 28279686.

19. Retana A, Emery RW, Keir V. Removal of Impacted Supernumerary Teeth Using a Dynamic Surgical Navigation System: A Case Report. J Oral Maxillofac Surg. 2019 Jun;77(6):1130-1134. doi: 10.1016/j. joms.2019.01.012. Epub 2019 Jan 14. PMID: 30738066.

20. Sarica I, Derindag G, Kurtuldu E, Naralan ME, Caglayan F. A retrospective study: Do all impacted teeth cause pathology? Niger J Clin Pract. 2019 Apr;22(4):527-533. doi: 10.4103/njcp.njcp_563_18. PMID: 30975958.

18 eldentistamoderno abril 2023
eldentista

“PARA AFRONTAR LOS RETOS DE LA SANIDAD PÚBLICA EN MATERIA DE ODONTOLOGÍA SERÁ

IMPRESCINDIBLE AUMENTAR LA INVERSIÓN EN PREVENCIÓN”

Dra. María Victoria Mateos Moreno, especialista en Odontología Preventiva y Comunitaria y vocal de la Junta Directiva de SESPO

La ampliación de la cartera común de servicios de salud bucodental del Sistema Nacional de Salud (SNS) supone un paso importante para fomentar programas de salud bucodental. La Dra. María Victoria Mateos Moreno, especialista en Odontología Preventiva y Comunitaria y vocal de la Junta Directiva de a Sociedad Española de Epidemiología y Salud Pública Oral (SESPO), destaca el cambio de enfoque hacia una filosofía más centrada en la prevención y nos habla acerca de las estrategias en materia de salud pública oral por parte de las instituciones internacionales, europeas y españolas, apuntando hacia los retos y desafíos a los que se enfrenta nuestra sanidad pública en materia de Odontología.

 DM.- El estudio y el fomento de la prevención, el diagnóstico y el tratamiento precoz de las enfermedades orales es uno de los fines de la Sociedad Española de Epidemiología y Salud Pública Oral (SESPO). En este sentido, ¿cuáles han sido los últimos avances que se han producido en salud pública oral?

Dra. María Victoria Mateos Moreno (Dra. M.V.M.M.).En los últimos años, hemos pasado progresivamente de una filosofía de tratamiento de la enfermedad a otra basada en la prevención. En enero de 2022, el Consejo Ejecutivo de la Organización Mundial de la Salud (OMS) celebró su 150ª Reunión, en la que se incluyó cómo elaborar un proyecto de estrategia mundial sobre salud bucodental, siendo uno de sus objetivos estratégicos integrar la atención esencial de salud bucodental y garantizar la protección financiera y los suministros esenciales en la Atención Primaria de Salud. Se instó a los estados miembros a fomentar la integración de la salud bucal en sus políticas nacionales y cambiar el enfoque tradicional curativo de la patología oral hacia un enfoque “preventivo promocional”, identificando los factores de riesgo

entrevista ENTREVISTA 20 eldentistamoderno abril 2023

para contribuir a la mejora de la salud oral, lo que conlleva un impacto positivo en la salud general de la población.

Según el informe sobre el estado de salud oral mundial de la OMS del año 2022, el número total de casos de enfermedades bucodentales en el mundo supera los casos de las 5 principales enfermedades no transmisibles (ENT), entre las que se incluyen trastornos mentales, enfermedades cardiovasculares, diabetes mellitus, enfermedades respiratorias crónicas y cáncer. El consumo elevado de azúcar, el tabaco en todas sus formas y el consumo de alcohol son importantes retos de salud pública para una amplia gama de ENT, siendo además los principales factores de riesgo modificables de las enfermedades bucodentales. Por tanto, las políticas de prevención tienen un objetivo idéntico: disminuir los factores de riesgo común. Mejorar la dieta, disminuir el consumo de tabaco o mejorar los hábitos higiénicos son objetivos comunes con los que se va a lograr una mejora en diferentes problemas de salud. Además, la Federación Dental Internacional (FDI) publicó en 2021 el documento “Visión 2030: Proporcionar una salud bucodental óptima para todos”, un informe que ofrece una hoja de ruta integral e interdisciplinaria sobre cómo influir en las políticas de salud y abordar los desafíos para mejorar la salud bucal y reducir las desigualdades en la misma durante la próxima década. Dada la estrecha relación entre las ENT y la salud bucodental, una salud bucodental deficiente también debería considerarse un factor de riesgo de las ENT, promoviendo el acceso a los servicios de atención integrada que incluyan la promoción y la atención a la salud bucodental. Según la FDI, para el año 2030, como objetivo general, los profesionales de la salud bucodental colaborarán con una amplia variedad de trabajadores del ámbito de la salud para garantizar una atención sanitaria sostenible, basada en las necesidades de salud y centrada en las personas.

 DM.- “Salud oral, reto social” ha sido el lema del último Congreso Nacional de SESPO. En su opinión, ¿en qué momento se encuentra actualmente la salud pública oral?

Dra. M.V.M.M.- Las enfermedades bucodentales se encuentran entre las ENT más comunes en todo el mundo y afectan a un número estimado de 3.500 millones de personas. La carga está aumentando, particularmente en los países de ingresos bajos y medianos. Una buena salud oral contribuye a la salud y el bienestar general, así como a la confianza en la interacción con los demás. Pero la salud bucal se ve amenazada por una gran variedad de enfermedades y afecciones, así como por las desigualdades, que aumentan la carga de morbilidad y perjudican el acceso a la atención.

La alta prevalencia de enfermedad de caries sigue siendo una realidad y la mayoría de la población adulta padece enfermedad periodontal en mayor o menor grado. Sin embargo, el acceso a la asistencia odontológica representa una utopía para la gran mayoría de la población mundial. A pesar de la amplia evidencia científica de que las enfermedades bucodentales son prevenibles con medidas preventivas viables, eficaces y de muy bajo coste económico, la realidad no es así.

21 eldentistamoderno abril 2023
En los últimos años, hemos pasado progresivamente de una filosofía de tratamiento de la enfermedad a otra basada en la prevención
Miembros del equipo de investigación de la Dra. María Victoria Mateos.

En términos generales, ha habido hasta la fecha escasa formación y concienciación de los profesionales en relación con las filosofías y estrategias preventivas y, además en general, ha habido una insuficiente implicación de las autoridades políticas en materia de salud pública oral.

Recientemente ha sido aprobado el nuevo Plan de Salud Bucodental por el Consejo Interterritorial del Sistema Nacional de Salud, que tiene como objetivos la mejora de la salud bucodental de la población, homogeneizar las prestaciones en todo el territorio nacional y garantizar la igualdad de acceso, independientemente del lugar de residencia. Se trata de incrementar los servicios comunes con un enfoque fundamentalmente preventivo. La Orden ministerial por la que se establece la ampliación de las prestaciones a los colectivos priorizados, incorporará en los próxi-

mos meses en las comunidades en las que no se cumpla, a población infantojuvenil de 0 a 14 años, mujeres embarazadas, personas con discapacidad y personas con cáncer del territorio cervicofacial.

 DM.- Ante la necesidad de nuevos enfoques preventivos, ¿hacia qué ámbitos en concreto se dirigen los últimos avances en este campo?

Dra. M.V.M.M.- Actualmente estamos en un momento en el que se vuelve fundamental aprender a identificar los factores de riesgo de distintas enfermedades orales y promover las tendencias actuales que entienden la prevención como una parte más del tratamiento de las mismas –no sólo de las secuelas que éstas producen–. Actualmente, el avance de nuevas técnicas preventivas y diagnósticas hace posible, en los distintos ámbitos de la odontología, identificar, de forma precoz, factores o indicadores de enfermedad. Estamos avanzando hacia una odontología menos mecanizada que trata la enfermedad, no sólo la secuela de la misma. Paralelamente, conviene resaltar que la salud oral es una pieza clave de la salud y el bienestar general de los individuos, siendo numerosos los estudios publicados que asocian las patologías orales con diversas enfermedades sistémicas. En los últimos años, por ejemplo, ha habido una gran revolución en el conocimiento de la enfer-

ENTREVISTA 22 eldentistamoderno abril 2023
entrevista
123RF
El acceso a la asistencia odontológica representa una utopía para la gran mayoría de la población mundial

medad de caries, gracias fundamentalmente al estudio de la etiología de la misma mediante técnicas de genómica. Hay nuevas tendencias en el entendimiento de la etiopatogenia, en la forma en la que diagnosticamos y clasificamos la caries, y en su manejo no operatorio y operatorio.

Es importante señalar que la cavidad oral alberga diferentes comunidades microbianas en las distintas localizaciones orales, lo cual hace más difícil crear estrategias de diagnóstico y control. Los métodos tradicionales de uso de antimicrobianos pueden no ser efectivos y los nuevos enfoques deben estar dirigidos hacia la restauración del equilibrio ecológico de la placa dental. Todo esto tiene y tendrá una gran repercusión en la clínica diaria.

Hay cambios en la comprensión del proceso de caries dental: hemos pasado del concepto de que la caries es una enfermedad tratable, a que la caries es una enfermedad totalmente controlable; es un proceso dinámico que puede ser detenido o revertido en cualquier momento. Este concepto del proceso continuo de caries está haciendo reconsiderar los criterios diagnósticos utilizados para evaluar la presencia-ausencia de enfermedad.

Esta nueva filosofía de trabajo no se limita a la cavidad oral como en la era anterior, sino que avanza al terreno global, esto es, las enfermeda-

des orales están moduladas por la salud general y nuestro estilo de vida, los considera esenciales. La boca es el reflejo o la puerta de entrada del bienestar personal. La Odontología de Mínima Intervención ha desarrollado herramientas que pueden ayudar a que las personas, en realidad, participen en su propia salud.

 DM.- Desde su visión como odontóloga en Atención Primaria del Servicio Madrileño de Salud, ¿cuál es el gran reto de la sanidad pública española en materia de Odontología?

Dra. M.V.M.M.- El gran reto de la sanidad pública española en materia de odontología se basa fundamentalmente en identificar los desafíos que enfrentará la odontología durante los próximos años y proponer estrategias sobre cómo éstos pueden convertirse en oportunidades para mejorar la salud bucal, reducir las desigualdades en el acceso a la salud bucodental y contribuir a reducir la carga global de las enfermedades bucodentales. Para ello será imprescindible aumentar la inversión en prevención.

Es importante considerar los cambios sociales amplios, como el envejecimiento de la población, que requerirán que la salud pública se adapte y brinde una atención constante.

23 eldentistamoderno abril 2023
123RF

Otro reto importante será describir las formas en las que podemos integrar nuestra profesión dentro de las agendas de desarrollo global (mejor integración de la salud bucal en la salud general) y dentro de los objetivos de desarrollo sostenible de la ONU. Lograr una salud bucal óptima para todos requiere defensores firmes que estén listos para abordar este importante desafío de salud pública. Importante, además, el reto de que los propios pacientes sean también defensores bien informados de su propia salud bucal y puedan desempeñar un papel activo en sus decisiones de tratamiento.  La salud bucodental se ha descuidado durante mucho tiempo en la agenda mundial de salud. Nuestro mayor desafío ahora es garantizar que todas las personas, independientemente de su lugar de residencia o su nivel económico, tengan los conocimientos y las herramientas necesarias para cuidar su salud oral, y acceso a prevención y atención bucodental cuando lo necesiten.

 DM.- ¿Cuáles son los pilares fundamentales de las Unidades de Salud Bucodental en Atención Primaria?

Dra. M.V.M.M.- Uno de los pilares fundamentales de las Unidades de Salud Bucodental en Atención Primaria (USBD) consiste en que los profesionales que trabajan en ellas, estén plenamente formados y capacitados para realizar las actividades asistenciales, diagnósticas y terapéuticas, así como aquellas de promoción de la salud, educación sanitaria y preventivas dirigidas a la atención a la salud bucodental.

Dar adecuada información, educación para la salud y, en su caso, adiestramiento en materia de higiene y salud bucodental, fomentando el autocuidado y el manejo de los factores de riesgo de las enfermedades orales, es fundamental para el correcto funcionamiento de las USBD.

Es, por tanto, imprescindible que dichos profesionales tengan una adecuada formación en odontología preventiva y comunitaria para poder establecer adecuados programas y protocolos de mantenimiento en salud de la población, así como para una correcta gestión de los recursos disponibles.

 DM.- ¿Cuál es su opinión acerca del nuevo Plan de Salud Bucodental? ¿Considera usted que son suficientes las prestaciones incorporadas?

Dra. M.V.M.M.- Aunque la principal ventaja del nuevo Plan de Salud Bucodental es que pone el foco en la odontología preventiva y la promoción de la salud, y en reducir desigualdades en ciertos colectivos con mayor dificultad de acceso a las USBD, todavía queda mucho trabajo por hacer. Se necesitan más recursos humanos y económicos para el desarrollo de todos los objetivos propuestos, aunque se pone de manifiesto la necesidad de ampliar la cobertura en salud pública oral, y eso ya de por sí es un logro.

Una importante medida es la inclusión de niños de 0 a 6 años en los programas de atención bucodental y la homogenización de los servicios odontológicos ofrecidos en las distintas comunidades. La inclusión de un enfoque preventivo desde la concepción del individuo, es decir, desde el embarazo, supone un avance importante para poder trabajar sobre una boca sana manteniendo al paciente en salud, que es uno de los principales objetivos de nuestra sociedad.

Sería muy necesario tener en cuenta al colectivo mayor de 65 años. Deberíamos replantearnos una política sanitaria que incluya la mejora de la atención y la cobertura odontológica a estos pacientes, que muchas veces se ven obligados a realizar tratamientos mutilantes en su cavidad oral por no disponer desgracia-

ENTREVISTA 24 eldentistamoderno abril 2023
entrevista
El nuevo Plan de Salud Bucodental aprobado por el Consejo Interterritorial del Sistema Nacional de Salud tiene como objetivo incrementar los servicios comunes con un enfoque fundamentalmente preventivo
Pexels

damente de los recursos económicos necesarios, con la consecuente pérdida de calidad de vida oral y, por tanto, de calidad de vida general.

 DM.- En este sentido, ¿qué temas protagonizan las conversaciones de SESPO con las Administraciones Públicas en cuanto al desarrollo y la promoción de la salud oral en estos momentos?

Dra. M.V.M.M.- Para homogeneizar las prestaciones en salud bucodental y garantizar la equidad a su acceso, trabajan un grupo de expertos que consta de un equipo técnico del Ministerio de Sanidad, un grupo de trabajo con componentes de las distintas Comunidades Autónomas de la Comisión de Prestaciones, Aseguramiento y Financiación (CPAF) del Consejo Interterritorial de SNS, en el que se encuentran varios miembros de la SESPO, el Consejo General de Colegios Oficiales de Odontólogos y Estomatólogos de España y otras sociedades científicas, además de la nuestra.

A nivel mundial, se está trabajando junto a organismos como la OMS, en la elaboración de un Plan Estratégico que sirva de base para orientar y elaborar un futuro Plan de Acción Mundial, que permita evaluar los progresos en Salud Bucodental. Se están realizando grandes esfuerzos fomentando programas de salud bucodental y, sin duda, en España esta ampliación de la cartera común de servicios de salud bucodental del SNS es un paso importante, pero aún queda mucho trabajo por hacer en nuestro país en cuanto a concienciación de la población y de los entes gubernamentales, siendo ésta una de las líneas prioritarias de actuación de la SESPO.

Desde SESPO, estamos trabajando para ayudar al cumplimiento de estos objetivos, con la premisa de que la salud bucodental es clave para garantizar una vida sana. SESPO es parte, por ejemplo, del capítulo español de la Alianza para un Futuro Libre de Caries (ACFF) y participa en distintos proyectos que promueven los ideales de la Alianza entre la red de profesionales de nuestro país. El objetivo fundamental de la Alianza es que todos los niños que nazcan a partir de 2026, no tengan caries a lo largo de su vida. Uno de los proyectos en los que participa SESPO, avalado por la ACFF, “Stop azúcar-stop caries”, tiene como objetivos: concienciar a la población de la relación entre el consumo de azúcar y caries dental, dar a conocer la presencia de “azúcares ocultos” en alimentos y bebidas, y sensibilizar al personal sanitario en la importancia de la promoción de una dieta saludable para reducir la caries dental y otras ENT entre la población.

 DM.- Estudios recientes realizados por Dentaid Research Center destacan la capacidad preventiva de los enjuagues bucales previos al procedimiento oral en la disminución de la carga viral y la capacidad infectiva del SARS-CoV-2, así como la transmisión y gravedad de la enfermedad. ¿Qué importancia tienen estos hallazgos?

Dra. M.V.M.M.- Los hallazgos científicos respaldan el uso de enjuagues bucales previos a procedimientos orales. Hay evidencia in vitro suficiente para avalar el uso de antisépticos orales para disminuir la carga viral oral del SARS-CoV-2 u otros coronavirus. Además, ya disponemos de evidencia in vivo, habiendo sido publicados ensayos clínicos aleatorizados (ECA), que demuestran que ciertos antisépticos orales pueden ser útiles para disminuir la carga viral del SARS-CoV-2 en la cavidad oral y su capacidad infectiva. Se han probado numerosos antisépticos orales en los ECA, siendo el cloruro de cetilpiridinio (CPC) el antiséptico que mejores resultados ofrece. También se ha demostrado que el CPC permite la degradación de la bicapa lipídica de la envuelta de varias cepas de virus influenza, lo que sugiere su efectividad frente a otros virus con envuelta similar, como son el virus respiratorio sincitial o los coronavirus. Extrapolar resultados a otros virus respiratorios con envoltura lipídica, incluidos los coronavirus y los virus de la gripe estacional, puede ser una interesante línea de trabajo en el futuro. Otra importante línea de investigación sería el uso de antisépticos orales para reducir la carga viral del SARSCoV-2 y otros coronavirus en la cavidad oral como medida preventiva para disminuir la transmisión del virus a nivel poblacional y la gravedad de la enfermedad. Este impacto beneficioso propuesto es, a día de hoy, aún más pertinente ya que, sobre todo ahora, la implementación de las medidas de protección, como por ejemplo el uso de mascarillas, está disminuyendo. Los enjuagues bucales constituirían una medida rentable para reducir la transmisión del virus incluso para aquellas variantes que representan una amenaza para la eficacia de la vacuna. 

25 eldentistamoderno abril 2023
Sería muy necesario tener en cuenta al colectivo mayor de 65 años. Deberíamos replantearnos una política sanitaria que incluya la mejora de la atención y la cobertura odontológica a estos pacientes

TRASTORNOS RESPIRATORIOS: CRECIMIENTO Y ATM

Los trastornos respiratorios del sueño (TRS), especialmente la apnea obstructiva del sueño, son una de las afecciones más importantes en los pacientes pediátricos. Este artículo versa sobre la importancia de que el odontólogo u odontopediatra tenga un diálogo con el médico pediatra, así como con el otorrinolaringólogo, para poder decidir el tratamiento del paciente y obtener los mejores resultados a futuro.

Contacto: juliabergaglio@hotmail.com

Los trastornos respiratorios del sueño (TRS), haciendo hincapié en la apnea obstructiva del sueño, son una de las afecciones más importantes en los pacientes pediátricos, muchas veces comenzando con el clásico ronquido y a veces con Bruxismo de sueño.

El Bruxismo de sueño es un comportamiento muscular repetitivo regido por una alteración en los neurotransmisores del SNC como la dopamina y la serotonina. Este bruxismo en el caso de las Apneas del sueño podemos llamarlo Protector.

La importancia de que el odontólogo u odontopediatra tenga un diálogo con el médico pediatra es fundamental para poder orientar al paciente en su tratamiento y realizar un buen trabajo transdisciplinario que dará los mejores resultados a futuro.

La principal causa de los trastornos respiratorios en niños es la hipertrofia adenoamigdalina, a veces también la obesidad, los cuadros alérgicos, trastornos neuromusculares, anquiloglosia y malformaciones craneofaciales.

Como afectará respirar por la boca en el desarrollo y los trastornos de las ATM se manifiesta en una alteración del crecimiento mandibular con una rotación mandibular hacia abajo y atrás, un cóndilo en posición posterior con luxación discal y muchas veces dolor miofascial. La apnea del sueño en niños está asociada a trastornos neurocognitivos, retraso del crecimiento, aumento de la resistencia vascular pulmonar, trastornos metabólicos y enuresis. La evaluación es inicialmente clínica, aunque también con una nasofibroscopía, con estudios del sueño (saturometría de O2, polisomnografía o poligrafía).

El diálogo con el otorrinolaringólogo es de fundamental importancia para decidir el tratamiento, que será en primer lugar la adenoamigdalectomía, con una alta efectividad en resolver el problema y con una baja tasa de complicaciones. También si es el caso de una anquiloglosia deberá efectuarse la frenectomia correspondiente y el trabajo con logopedas.

Especialista

Diplomada en Medicina del sueño (Univ Austral Argentina).

Diplomada en Ortopedia neuromuscular (Univ Católica,La Plata Argentina).

Certificada Sistema Myobrace.

Certificación Roncoapnea (Ortoapnea).

La hormona de crecimiento y su influencia en los trastornos respiratorios también tiene su grado de importancia ya que cuando no esté instalada la respiración nasal, se verá afectada la cantidad de esta hormona (Somatomedinas) alterando el desarrollo del cartílago nasal de manera similar al cartílago mandibular; por consecuencia se altera el crecimiento de las cavidades nasales y los senos paranasales lo que estimula el crecimiento y desarrollo hacia adelante y hacia abajo del maxilar.

El diagnóstico odontológico estará enfocado en la parte respiratoria como también en la posición lingual y el sellado labial y la maloclusión de nuestro paciente.

El tratamiento odontológico debe enfocarse en corregir la causa del problema. A modo de sugerencia la elección debería ser poder tratar a nuestro paciente con Ortopedia u Ortodoncia Miofuncional (Myobrace). Este tipo de tratamiento miofuncional se enfocará en corregir la mala función y le dará a nuestro paciente calidad de vida y una sonrisa correcta. 

26 eldentistamoderno abril 2023 ATM
opinión
Dra. Ma. Julia Bergaglio Odontóloga Universidad nacional de La plata (Argentina). en Odontopediatría (Univ Maimonides, bsas Argentina).

Bibliografía

1. Lobbezoo F, Ahlberg J, Glaros AG et al. Bruxism defined and graded: an international consensus. J Oral Rehabil 2013; 40: 2–4.

2. Aurora RN, Lamm CI, Zak RS et al. Practice parame- ters for the non-respiratory indications for polysomnography and multiple sleep latency testing for children. Sleep 2012; 35: 1467–1473.

3. Manfredini D, Ahlberg J, Castroflorio T, Poggio CE, Guarda-Nardini L, Lobbezoo F. Diagnostic accuracy of portable instrumental devices to measure sleep

4. Influence of respiratory pattern on craniofacial growth, J A McNamara. Angle Orthod. 1981 Oct.

5. influence of growth hormone on mandibular condylar cartilage of rates. German O Ramirez-Yañez, William G Young, Terry J Daley, Michael J Waters (pubmed).

6. Growth and mouth breathers Mario Morais-Almeida et al. J Pediatr (Rio J).2019 Mar-Apr.(pubmed).

Imágenes 1 y 2. Caso de paciente de 8 años, sexo masculino. En tratamiento se pueden ver los cambios estructurales y oclusales al modificar las funciones de respiración y posición lingual con sistema miofuncional, en 5 meses.

27 eldentistamoderno abril 2023
1 2

Align Technology

INVISALIGN SMILE ARCHITECT™

AYUDA A LOS DENTISTAS A COMBINAR TRATAMIENTOS ORTO-RESTAURADORES EN UNA ÚNICA PLATAFORMA Y A LLEVAR LA COMUNICACIÓN CON EL PACIENTE A UN NUEVO NIVEL

El Dr. Christian Bitar, odontólogo general de Amiens (Francia), ofrece el sistema Invisalign® en su clínica desde 2017. En 2022 tuvo la oportunidad de participar en el piloto del software Invisalign Smile Architect™, una herramienta integrada en el software ClinCheck® diseñada para ayudar a los doctores a tratar a sus pacientes con un enfoque combinado de ortodoncia y restauración. En este artículo explica cómo esta nueva característica, clave dentro de Align Digital Platform™, está beneficiando a sus pacientes y a su consulta.

Soy uno de los ocho odontólogos de mi clínica y tengo un enfoque multidisciplinar que combina la ortodoncia y la odontología restauradora. Utilizo el sistema de aligners

transparentes Invisalign® como parte de mi protocolo de tratamiento estándar. Invisalign Smile Architect es una nueva herramienta digital de planificación de tratamientos que me permite

28 eldentistamoderno abril 2023
INVISALIGN SMILE ARCHITECT™

planificar mis tratamientos con un enfoque de odontología mínimamente invasiva y visualizar no sólo el resultado potencial, sino todos los pasos intermedios.

Invisalign Smile Architect ofrece una nueva dimensión a la restauración dental. Combina la alineación de los dientes y la planificación de la restauración en una única plataforma que ayuda a integrar el tratamiento con aligners transparentes en mis planes de tratamiento integrales. Por ejemplo, si necesito enderezar los dientes y reconstruir algunas coronas, puedo planificar ambos tratamientos al mismo tiempo utilizando el software Invisalign Smile Architect.

Anteriormente, cuando venía a verme un paciente nuevo, me tomaba mi tiempo para entender su principal preocupación y qué resultado esperaba obtener, y luego le explicaba cómo funcionaba el sistema Invisalign y lo que se podía conseguir. A continuación, realizaba escaneados 3D con el escáner intraoral iTero™ para crear una simulación del aspecto que tendrían su sonrisa tras el tratamiento Invisalign. Sin embargo, eso sólo daba un resultado ortodóncico. Ahora Invisalign Smile Architect nos permite mostrar en una sola plataforma cómo serán los resultados de un tratamiento de ortodoncia, de restauración o de ambos.

Además de ayudarme a planificar los tratamientos con el mejor resultado posible, Invisalign Smile Architect también es una eficaz herramienta de comunicación con mis pacientes porque les ayuda a visualizar cuál será el resultado final de su tratamiento orto-restaurador. Esto suele ser fácil para los dentistas, pero no tanto para los pacientes, por lo que ver los resultados les permite comprender mejor los beneficios del tratamiento que van a iniciar. A menudo llegan a mi clínica con dudas sobre su sonrisa, así que poder ver cómo podemos tratarlos, alineando sus dientes y luego realizando una serie de restauraciones, es revelador para ellos. En los casos más complejos, también es muy útil para ayudar a los dentistas a visualizar desde el principio las distintas fases del tratamiento, así como los resultados, lo que nos ayuda a modificar el tratamiento en función de las necesidades clínicas: podemos retirar una corona, hacerla más grande o más fina y actualizar el espaciado del paciente, todo en una sola plataforma. Así es más cómodo para los pacientes y también para el laboratorio, que obtiene la información que necesita para crear la restauración. Ya he tratado a varios pacientes con Invisalign Smile Architect y puedo decir que están tan convencidos como yo de las ventajas de esta nueva herramienta. 

El Dr. Bitar es un dentista con clínica privada en Amiens, Francia. Se graduó en cirugía dental en 2016 y tiene un título en implantología y periodoncia, siendo Invisalign provider desde 2017. Entre 2019 y 2021 realizó una especialización en ortodoncia con aligners, en la Universidad de La Reunión. En 2022, fundó ADPO, una academia dental multidisciplinar en Amiens, donde ofrece a dentistas generales programas de formación en ortodoncia con aligners transparentes. El Dr. Bitar también es coach personal, y ayuda a los dentistas a mejorar su autoestima y a confiar en sus habilidades.

29 eldentistamoderno abril 2023 Contenido
patrocinado
Si desea más información sobre Invisalign, visite www.invisalign.com
Dr. Christian Bitar

“EL OBJETIVO DE SEPA SEVILLA’23

ES ACERCAR LA PERIODONCIA A TOD@S Y DESDE

DIFERENTES PERSPECTIVAS”

Dr. Gustavo Ávila Ortiz, coordinador científico de Sepa Sevilla´23 (31 mayo – 3 junio 2023)

Sevilla acogerá del 31 de mayo al 3 de junio Sepa Sevilla’23, el congreso científico más importante de la periodoncia y la terapia de implantes. El coordinador científico del encuentro, el Dr. Gustavo Ávila Ortiz, nos detalla a lo largo de esta entrevista la apuesta por la interdisciplinariedad y la multidisciplinariedad en el programa y sus itinerarios formativos para convertir esta cita científica en un espacio formativo de interacción e intercambio de conocimiento para todos los profesionales con interés en la salud bucal y sus ramificaciones interdisciplinares biomédicas, tanto dentro como fuera de la odontología.

 DM.- ¿Cuál va a ser la temática principal del próximo Congreso de la Periodoncia y la Salud Bucal?

Dr. Gustavo Ávila Ortiz (Dr. G.Á.O.).- De una manera intencionada por parte del comité organizador, no existe un tema único que resalte y destaque por encima del resto. Es importante subrayar el carácter tan amplio y variado de nuestro Congreso, fruto del interés por acercar la Periodoncia a tod@s y desde diferentes perspectivas.

Pese a que el tratamiento de las enfermedades y condiciones periodontales y periimplantarias copan el interés de la mayoría de los profesionales que conforman la masa social de Sepa, se ha hecho un gran esfuerzo para identificar e integrar en el programa científico otras temáticas de relevancia para cubrir un amplio espectro, con el objetivo de enriquecer la experiencia educativa y de intercambio de información en el Congreso. Es importante compartir en un foro como éste controversias y novedades que nos ayuden a maximizar los resultados terapéuticos en base a la evidencia científica, pero sin dejar de lado la experiencia clínica de reconocidos expertos en diferentes materias.

El objetivo fundamental de Sepa es la difusión y la divulgación de la importancia de la Periodoncia, que mejora el tratamiento dental, la calidad asistencial y la vida del paciente a corto y, sobre todo, a largo plazo, ya que se relaciona con la salud ge-

entrevista ENTREVISTA 30 eldentistamoderno abril 2023

neral. Éste es el legado de Sepa, pero ahora se le ha dado un impulso más, con la constitución de 10 comunidades de conocimiento. En nuestro Congreso de Sevilla, donde esperamos llegar a contar con cerca de 6.000 asistentes, se han previsto sesiones de todo tipo que responden a las demandas de profesionales interesados en estas comunidades.

 DM.- Para diseñar el programa científico del Congreso, ¿dónde han querido poner el foco en esta edición? ¿Por qué?

Dr. G.Á.O.- El programa engloba temas emergentes y relevantes para la práctica odontológica actual. Se ha apostado fuertemente por la interdisciplinariedad desde la mejora de todo el equipo odontológico y la promoción de la salud bucal, además de la salud periodontal y periimplantaria. Hay un claro énfasis en la terapia centrada en el beneficio directo del paciente, superando los parámetros de éxito clínico que podían ser importantes para el profesional, pero que no siempre coinciden con las expectativas y necesidades específicas de cada paciente. En definitiva, uno de los objetivos principales es satisfacer las necesidades de formación y conocimiento de todos los componentes del equipo odontológico, así como atraer el interés de otros profesionales de la salud con los que colaboramos habitualmente y que, de una u otra forma, son aliados nuestros para la consecución de una mejor salud bucodental y general del paciente. Para lograr esto, nuestro Congreso ofrece en cinco vías temáticas que conforman pequeños congresos dentro de este gran evento; así, tenemos una programación particular en Periodoncia, Interdisciplinar, Digital, Higiene y Gestión. Sepa ofrece cinco congresos en uno con el objetivo de que todos los profesionales vinculados a la promoción de la sa-

lud bucal encuentren su espacio para actualizar y compartir sus conocimientos. El Congreso en esta ocasión tiene, además, el apoyo y empuje que supone la colaboración de la Federación Iberopanamericana de Periodoncia (FIPP), que tendrá un protagonismo particular en la jornada precongreso del 31 de mayo.

 DM.- ¿Cuáles serán las principales apuestas de Sepa Sevilla’23?

Dr. G.Á.O.- La colaboración de Sepa y FIPP hacen que ésta sea una cita muy importante, única y diferencial. Consideramos que éste puede llegar a ser, por muchos motivos, el congreso científico más relevante a nivel mundial que se celebre este año en el campo de la Periodoncia y la Implantología Dental. Nuestra reunión cada vez se hace más internacional, es totalmente bilingüe y se retransmite en streaming a nivel mundial.

 DM.- Como coordinador científico de Sepa Sevilla´23, ¿cuáles serán los principales atractivos de este Congreso? ¿Qué novedades introduce esta edición?

Dr. G.Á.O.- Siempre hay novedades, Sepa no para de innovar con el objetivo de mejorar. Pero, personalmente, lo que me parece más especial de la

31 eldentistamoderno abril 2023
“ El programa de Sepa Sevilla’23 engloba temas emergentes y relevantes para la práctica odontológica actual, apostando fuertemente por la interdisciplinariedad ”

reunión de este año es que el Congreso se hace en colaboración con la FIPP. Sepa siempre ha tenido una estrecha y fructífera relación con FIPP, pero esto supone dar un paso más, subir dos escalones en esta relación bidireccional de una sola tacada. Aparte de la sesión precongreso con FIPP, a lo largo del programa científico de Sepa’23 también contaremos con la participación de ponentes iberoamericanos de una manera muy destacada, lo que está motivando a países de FIPP a sumarse para que este Congreso sea una celebración científica de la Periodoncia, sirviendo de hermanamiento y estímulo al crecimiento mutuo de las Sociedades de Periodoncia de habla hispana y portuguesa. También habrá importantes novedades en la exposición comercial por parte de los colaboradores estratégicos. Al margen de la tradicional exposición comercial y talleres, en esta edición el fórum corporativo adopta un formato en el que las presentaciones esponsorizadas por la industria se intercalan con sesiones dentro del programa científico, lo cual puede ser muy atractivo desde distintos puntos de vista.

 DM.- En cuanto a las cirugías en directo, ¿quiénes serán los profesionales a cargo de estas cirugías y qué técnicas mostrarán en vivo a los asistentes?

Dr. G.Á.O.- Contar en el Congreso Sepa+FIPP’23 con la participación del Dr. Giovanni Zucchelli no solo asegura una aportación de alto nivel clínico y de excelencia, sino que ofrece la posibilidad de ver en directo cómo este experto italiano de referencia mundial resuelve, por medio de una intervención quirúrgica, un problema de dehiscencia mucosa periimplantaria. Además, la participación de Adrián Guerrero, Nelson Carranza y Alejandra Chaparro permitirá debatir y cuestionar algunos aspectos de interés y controversia. Muchas de las sesiones científicas previstas para el Congreso Sepa+FIPP’23 tienen como foco de atención la periimplantitis. Entre ellas resalta especialmente el simposio que abrirá la jornada del 2 de junio, con la intervención estelar del Dr. Ignacio Sanz Sánchez, que mostrará en su intervención quirúrgica en vivo, de forma muy visual, práctica y didáctica, un protocolo que supone un cambio en el paradigma del tratamiento de la periimplantitis.

 DM.- Háblenos de los diferentes itinerarios formativos del Congreso. ¿Cuáles serán temáticas protagonistas en cada uno de ellos?

Dr. G.Á.O.- Sepa Periodoncia se centra en la terapia periodontal y periimplantaria, dando valor al manejo

de los tejidos blandos; los avances en el conocimiento de la fisiopatología de las enfermedades periimplantarias, el manejo del alveolo posextracción, los tratamientos mínimamente invasivos y la integración de distintas disciplinas odontológicas para optimizar los resultados clínicos y el bienestar del paciente. Sepa Interdisciplinar trata de ajustarse a las necesidades de dentistas especializados en otras disciplinas de la Odontología: prótesis, ortodoncia, endodoncia o práctica más general, enriqueciendo su perspectiva y optimizando el tratamiento de nuestros pacientes. Queremos tender puentes y reforzar relaciones con colegas especializados fuera del ámbito de la Periodoncia o la Terapéutica de Implantes, con un espíritu de intercambio bilateral. Por su parte, Sepa Higiene está abierto a higienistas, a dentistas y a otros miembros de la comunidad odontológica. Este programa es una oportunidad para que los integrantes del equipo de salud bucal puedan adquirir y refrescar conocimiento sobre la aplicación de estrategias terapéuticas y nuevas tecnologías, elevando así la eficiencia de los programas preventivos de las enfermedad periodontales y periimplantarias, además de promover la salud bucal y sistémica desde la clínica dental, como una responsabilidad compartida del equipo de salud bucal.

ENTREVISTA 32 eldentistamoderno abril 2023
entrevista

Sepa Digital responde a una realidad contemporánea dado que el uso de tecnolog í as digitales en Odontolog í a es una cuesti ó n transversal con m ú ltiples aplicaciones cl í nicas e investigadoras, y un gran potencial de futuro. La captura, almacenaje y procesado de informaci ó n en formato digital para facilitar la planificaci ó n y el tratamiento de nuestros pacientes se ha articulado de una manera org á nica dentro del programa cient í fico del Congreso Sepa23 FIPP, dando prioridad a equilibrar flujos establecidos y contrastados con conceptos emergentes. Sepa Gestión refleja el firme compromiso que tenemos en esta Sociedad científica de liderar y promover la educación en materia de gestión de profesionales dentro del ámbito odontológico, aunando visiones valiosas, al mismo tiempo que heterogéneas y plurales. Contamos para ello con un elenco de ponentes de primer nivel, que compartirán su experiencia y visión sobre la gestión de la clínica dental.

 DM.- ¿A qué perfil de profesionales se dirigen los contenidos de Sepa Sevilla’23?

Dr. G.Á.O.- Todos los profesionales con inter é s en la salud bucal y sus ramificaciones interdisciplinares biom é dicas, dentro y fuera de la

odontolog í a, se pueden beneficiar de su participaci ó n en el Congreso de Sepa: dentistas especializados, dentistas generalistas, estudiantes de posgrado y de grado, higienistas, auxiliares de cl í nica, gestores, personal administrativo, investigadores, educadores y representantes del sector dental, as í como personal de farmacias y otros profesionales de la salud. El programa cient í fico y otras actividades paralelas est á n dise ñ ados para encontrar un espacio de interacci ó n e intercambio de conocimiento, con el fin de seguir impulsando el avance de la Periodoncia y la Odontolog í a que fomenta Sepa desde su compromiso con la promoci ó n de la salud bucal y general.

 DM.- ¿Cómo contribuirá Sepa con este Congreso a la formación de los profesionales para una aplicación clínica inmediata de los conocimientos adquiridos?

Dr. G.Á.O.- Hemos optado por sesiones y presentaciones muy prácticas, muy próximas a la realidad clínica, reconociendo las prioridades y necesidades tanto de los profesionales como de los pacientes en relación a la salud bucodental. Por eso, nuestra expectativa es que aquellos que participen en este Congreso tengan la capacidad de aplicar de una manera eficiente lo aprendido en su quehacer cotidiano, con el valor añadido de ser experiencias educativas catalizadas y avaladas por expertos de referencia mundial. Sepa ha sabido posicionarse de una manera diferencial, con una oferta formativa de rigor y alta calidad, y orientada a cubrir las demandas de los profesionales y, por supuesto, de los pacientes. 

33 eldentistamoderno abril 2023
Uno de los objetivos principales es satisfacer las necesidades de formación y conocimiento de todos los componentes del equipo odontológico, así como atraer el interés de otros profesionales de la salud con los que colaboramos habitualmente

Estudio Sanitas de Salud Bucodental 2023

DIENTES SENSIBLES, GINGIVITIS Y BRUXISMO, LOS PRINCIPALES PROBLEMAS DENTALES DE LOS ESPAÑOLES

A pesar de las barreras y temores, los españoles son plenamente conscientes de lo importante que es ocuparse de su salud bucodental y de la de los suyos como fuente de salud y bienestar generales. Ésta es una de las principales conclusiones del último Estudio Sanitas de Salud Bucodental que determina el nivel de salud bucodental entre la población española.

reportaje ESTUDIO SANITAS DE SALUD BUCODENTAL 34 eldentistamoderno abril 2023
Pexels

Sanitas Dental ha publicado su Estudio Sociológico sobre Salud Bucodental 2023, un informe anual sobre la situación de la salud bucodental entre la población española analizando aspectos como la importancia que le dan a su cuidado y los comportamientos que declaran realizar al respecto.

A pesar de que la población española está concienciada sobre la importancia de la atención bucodental, 2 de cada 3 padecen actualmente algún problema (65,85%), siendo la sensibilidad dental (28,96%), los problemas gingivales (20,17%) y el bruxismo (19,11%) los más comunes, según este documento. Este último trastorno, que consiste en apretar o rechinar los dientes tanto si se está despierto como dormido, ha crecido respecto al mismo estudio elaborado el año pasado. Así, según el último Estudio Sanitas de Salud Bucodental, en 2023 las personas diagnosticadas con bruxismo han aumentado en un punto porcentual, en adultos y en jóvenes. La principal causa que lo provoca, señala, es el estrés. Concretamente, en un 49% de los casos de los adultos y en un 42,8% en los menores de 18 años, cerca de 12 puntos porcentuales más que el año anterior.

“El bruxismo provoca desgaste dental, que puede ir acompañado de dolor de cabeza, cuello y oído”, señala la Dra. Manuela Escorial, odontóloga y responsable del Departamento de Innovación y Calidad Clínica de Sanitas Dental. “El abordaje del bruxismo debe hacerse de forma multidisciplinar: el odontólogo rehabilitará y protegerá la mordida, y en numerosas ocasiones será necesario acudir también al fisioterapeuta si hay contracturas musculares y al psicólogo para tratar el estrés”, añade.

La importancia del cepillado

Para garantizar un estado saludable de la cavidad oral es necesario mantener una higiene de manera diaria y acudir a consulta periódicamente. En este sentido, casi la totalidad de los españoles afirma

cepillarse los dientes diariamente (96,2%) y un 69,3% hace uso del enjuague. Más del 37,5% señala que se cepilla los dientes 3 veces al día y un 29,1% indica que utiliza el enjuague una vez al día. Según el informe, la mitad de los españoles utiliza a diario cepillo eléctrico (49,84%), especialmente las personas de 25 a 44 años, y este porcentaje desciende en 6 puntos en el caso de los jóvenes y niños de menos de 18 años. Sin embargo, sólo un 47% de los españoles utiliza cepillos interdentales y un 40% seda dental, fundamentales junto al cepillado para reducir el riesgo de caries en todas las superficies del diente. Todos estos datos reflejan que aún queda un alto porcentaje de población adulta que no lleva a cabo los hábitos higiénicos recomendados por los especialistas, según indican desde Sanitas.

La mitad de los españoles utiliza a diario cepillo eléctrico, especialmente las personas de 25 a 44 años, y este porcentaje desciende en 6 puntos en el caso de los jóvenes y niños de menos de 18 años.

Dos de cada 3 españoles de 24 a 60 años tienen actualmente algún problema bucodental (65,85%).

35 eldentistamoderno abril 2023
Aumentan los casos de bruxismo entre los españoles, con el estrés como causa principal ”
Artículo patrocinado

En cuanto a higiene bucodental, el Estudio Sanitas de Salud Bucodental 2023 destaca además que un 90,64% de las madres de niños menores de 14 años se ocupa de la salud bucodental de sus hijos (92,89% en 2022), frente a un 72,94% (71,46% en 2022) de los padres. Se encargan los dos de este tema en el 65,23% de los casos, un porcentaje que se incrementa ligeramente respecto a 2022. Por otro lado, el estudio apunta que a los padres y madres españoles con hijos de hasta 18 años les preocupa mucho o bastante la salud bucodental de sus hijos (83,23%), en menor medida que la suya propia, que les preocupa mucho o bastante al 69,31%. En ambos casos las mujeres se muestran más preocupadas que los hombres.

Visitas al dentista

En cuanto a las visitas al dentista, el 67,5% de los españoles acude al menos una vez al año, mientras que el porcentaje entre los menores de 18 años es

del 73,3%. Sin embargo, cerca de una cuarta parte de los adultos (22,38%) acude sólo cuando tienen problemas. En el caso de los más pequeños, el 8,66% de los padres señala que no lleva nunca al dentista a sus hijos y otro 9,91% sólo lo hace cuando ocurre alguna complicación.

Entre las principales razones para acudir al dentista se encuentran las revisiones rutinarias (40,9%), las limpiezas dentales (33,54%) y las caries (13,82%). “La prevención es clave para el bienestar general de las personas, por eso es fundamental visitar al odontólogo al menos una vez al año y no sólo cuándo ocurran complicaciones, para prevenir precisamente que éstas aparezcan. Detectar una patología en la cavidad oral a tiempo evita que ésta pueda desembocar en problemas más serios. Una buena higiene oral y acudir a la revisión con tu dentista son los aliados perfectos para la prevención y mantener la salud de tu boca”, afirma la Dra. Escorial.

Los problemas crecen

Respecto a la población infantil, el Estudio Sanitas de Salud Bucodental 2023 señala que los padres españoles con niños de 4 a 13 años los han llevado por primera vez al dentista a los 5 años de media. “Resulta ser un poco tarde si tenemos en cuenta la recomendación de los especialistas para evitar futuros problemas bucodentales: empezar a llevar a nuestros hijos al dentista desde que les sale el primer diente”, advierten desde Sanitas Dental. Respecto a los niños de 4 a 13 años, más de la mitad (58%) ha tenido problemas bucodentales en el último año, siendo las caries y los empastes (ambas con un 32%) los más frecuentes, seguidos de las anomalías en la posición o forma de los dientes (24,0%). Para resolver estos problemas, más de la mitad de los padres acudieron a un odontopediatra experto en niños (53,86%), mientras que el 39,14% lo hicieron con su dentista de toda la vida y un 7% acudió a un dentista recomendado por familiares/amigos.

reportaje ESTUDIO SANITAS DE SALUD BUCODENTAL 36 eldentistamoderno abril 2023
Principales razones para visitar al dentista por parte de la población general y los hijos menores de 18 años. Casi 7 de cada 10 españoles suelen acudir al dentista al menos una vez al año, mientras que este porcentaje es de casi 3 de cada 4 entre los menores de 18 años.
Los españoles aprueban en cepillado diario, pero sólo un tercio de la población lo hace 3 veces al día ”

En relación con los adolescentes de 14 a 23 años, el 55% presenta actualmente problemas bucodentales. Los más frecuentes son la hipersensibilidad dental (19,68%) en mayor medida los menores de 25 años); seguido de las caries sin empastar (15,6%); y de las encías que sangran (12,5%). Aunque desde Sanitas Dental destacan que estos tres porcentajes disminuyen en la comparativa con el año pasado.

Salud y estética, prioridades de los españoles Siguiendo con el segmento de los adolescentes, los resultados del Estudio Sanitas de Salud Bucodental 2023 apuntan que el 39% de los adolescentes comenzaría un tratamiento dental sólo por razones estéticas. Asimismo, los datos señalan que prácticamente la totalidad de los adolescentes españoles no se negaría a ponerse algún tratamiento de ortodoncia y más de la mitad se pondrían la que les recomendara el dentista. Además, los datos reflejan que el 75% de los adolescentes han llevado o llevan ortodoncia y lo hacen o lo han hecho principalmente por salud (51%). En el caso de los adultos, la ortodoncia es igual de importante. Así lo refleja el informe que recoge que el 54% han llevado o llevan ortodoncia y lo hacen o lo han hecho principalmente por salud (34,03%) o por estética (28,73%). Asimismo, añade que cerca de 9 de cada 10 adultos españoles utilizarían ahora algún tratamiento de ortodoncia si lo necesitara y cerca de la mitad de los encuestados utilizarían la que les recomendara el dentista. Estos datos reflejan que la apariencia de su sonrisa es, junto con la salud bucodental, una de las prioridades de los españoles. Y es que más de 8 de cada 10 adultos españoles se han realizado alguna vez algún tratamiento estético dental (84,29%), principalmente limpiezas dentales (68,88%). Como dato curioso, desde Sanitas Dental apuntan que “son las mujeres, en mayor proporción que los hombres, quienes principalmente se han realizado un tratamiento estético dental”.

Por otro lado, según el Estudio Sanitas de Salud Bucodental 2023, el 40,1% de las embarazadas ha tenido algún problema de salud bucodental a lo largo de la gestación, principalmente caries (36,8%), seguido de sangrado de encías (23,4%), pérdida de dientes (18%) y sequedad bucal (14,9%).

La relación entre salud bucodental y salud general Los españoles consideran que la diabetes es la enfermedad que más favorece la aparición de caries y enfermedades de las encías, siendo más de 4 de cada 10 personas las que así lo consideran (45,58%). Aunque los españoles perciben las cardiopatías como una condición poco relacionada (16,05%), la realidad es que este tipo de problemas son uno de los que más relación tienen con los problemas de salud bucodental.

La importancia de contratar un seguro bucodental

El estudio destaca que 1 de cada 3 españoles (31,5% en comparación con 30,6% en 2022) tienen contratado algún seguro dental y el 48,5% considera

El 58% de los niños de 4 a 13 años han tenido problemas bucodentales en el último año. Los más frecuentes han sido las caries y los empastes, seguidos de las anomalías en la posición o forma de los dientes, todos ellos en mayor medida que en 2022.

El 54% han llevado o llevan ortodoncia y lo hacen o lo han hecho principalmente por salud (34,03%) o por estética (28,73%).

37 eldentistamoderno abril 2023
Cerca de una cuarta parte de los españoles (22,38%) sólo va al dentista cuando tiene un problema ”

Más de 8 de cada 10 adultos españoles se han realizado alguna vez algún tratamiento estético dental, principalmente limpiezas dentales.

importante disponer de uno, una opinión especialmente compartida entre las personas de menos de 45 años. En el caso de los mayores, el 22,1% tiene contratado actualmente uno.

Los españoles consideran que la diabetes es la enfermedad que más favorece la aparición de caries y enfermedades de las encías, siendo más de 4 de cada 10 personas las que así lo consideran (45,58%).

Entre las principales razones por las que consideran importante contar con un seguro de salud se encuentra, en primer lugar, tener un mayor acceso a especialistas de salud bucodental (40,5%); seguido de mejorar la salud bucodental (36,8%).

El principal beneficio que destacan más de 7 de cada 10 personas de un seguro de este tipo es tener una mejor salud bucodental (71,45%).

No obstante, el precio es la principal reticencia que señalan más de la mitad de las personas que no consideran importante (o no lo saben) tener un seguro bucodental (55,15%, sin cambios frente a 2022), seguido de que van a la misma clínica dental desde hace muchos años (43,8%) o por los profesionales de las clínicas (17,68%).

La tecnología, fuente de confianza

Por último, cabe destacar la trascendencia que está adquiriendo la transformación digital en la prevención y el cuidado bucal, ya que 4 de cada 10 personas afirman que utilizarían la videoconsulta dental para una urgencia; más del 60% de los españoles piensa que le ayudaría mucho o bastante para tomar una decisión poder visualizar una simulación de cómo va a ser su tratamiento dental; y 8 de cada 10 personas (79,51%) valoran positivamente que su centro tenga tecnología avanzada.

“La digitalización permite, por un lado, facilitar todas las gestiones con el paciente, como la petición de citas o la revisión de pruebas médicas y, por otro, desarrollar tratamientos bucodentales cada vez más precisos y personalizados, como el uso de escáner intraoral, disponible en las clínicas dentales de Sanitas, que permite al odontólogo obtener información veraz de la anatomía bucodental y la oclusión de manera precisa, rápida y mucho más cómoda para el paciente”, concluye la odontóloga Manuela Escorial. 

reportaje ESTUDIO SANITAS DE SALUD BUCODENTAL 38 eldentistamoderno abril 2023
Casi el 80% de los encuestados valoran positivamente que su centro tenga tecnología avanzada ” “
Más de la mitad de los adolescentes tienen actualmente problemas bucodentales ”

Expertos en la prevención de caries

RECOMENDADA MARCA n°1

POR DENTISTAS E HIGIENISTAS PARA LAS CARIES*

Fórmulas únicas

Bi-Fluoradas Doble Acción

P r ev ien e las caries

P roteg e el esmalte

*Estudio IQVIA de seguimiento de dentistas e higienistas en España (Noviembre, 2022). Ver instrucciones de uso en el envase.

AUTOTRASPLANTE DENTAL: CONTROL A 18 AÑOS

La avulsión dentaria es un suceso relativamente común en edad infantil. Un reimplante diferido en el tiempo puede comprometer el futuro del diente, siendo la reabsorción por sustitución una opción probable en estos casos. Esa reabsorción en un paciente joven suele acompañarse de infraposición progresiva del diente anquilosado y acaba habitualmente con la pérdida del diente y del hueso de soporte. El autotrasplante dental ha sido propuesto como una de las técnicas para abordar esta problemática en pacientes en crecimiento. Presentamos un caso de un niño de 8 años que sufrió una avulsión con reimplante tras más de dos horas que acabó con reabsorción por sustitución. Tras estudio ortodóncico se decidió autotrasplantar el diente 4.5 en el lecho de extracción, previamente acondicionado, del diente 1.1. A los 18 años el diente trasplantado presenta total funcionalidad masticatoria, fonatoria y estética, con completo mantenimiento del hueso alveolar y normalidad de los tejidos blandos periodontales. El caso presentado no es un caso excepcional, sino un ejemplo de un tratamiento altamente predecible con una alta evidencia clínica de soporte.

Introducción

Los traumatismos dentales responsables de avulsiones, intrusiones o luxaciones laterales ocurren principalmente en pacientes entre 8 y 10 años (Andreasen y Ravn 1972; Malmgren 2000). En caso de avulsión el tratamiento generalmente recomendado es el reimplante del diente en el alvéolo (Andersson y cols. 2012), siendo la anquilosis de los dientes anteriores una posible complicación (Lindskog y cols. 1985; Hammarstrom y cols. 1986). El daño en las células periodontales en la superficie del diente puede provocar la aparición de una reabsorción por sustitución, con reemplazo del tejido dentario por tejido óseo, dando lugar a la anquilosis del diente. Una vez iniciado, el proceso reabsortivo prosigue hasta el total reemplazo de la raíz del diente. Aunque la supervivencia media de estos dientes está por debajo de cinco años (Barrett y Kenny 1997; Humphrey y cols. 2003; Nikoui y cols. 2003), este reemplazo se produce a velocidad variable, siendo por lo general más rápido en pacientes en edad de crecimiento y más lento en la edad adulta (Andersson y cols. 1989). Cuando la anquilosis se establece en un paciente en crecimiento, se va produciendo una progresiva infraposición del diente anquilosado, que hace necesaria la intervención

del odontólogo (Malmgren 2013). Posibles opciones terapéuticas son el autotrasplante, la decoronación, la distracción ósea, la osteotomía segmentaria o una reconstrucción de composite, descartándose como opción la extracción del diente por la pérdida ósea que conllevaría, tanto horizontal como vertical (Pietrokovski y Massler 1967; Schropp y cols. 2003; Araujo y Lindhe 2005). El autotrasplante dental es una técnica clínica contrastada que desde su protocolización por la escuela escandinava hacia mitad del siglo xx permite alcanzar resultados predecibles con porcentajes de éxito muy altos (Akhlef y cols. 2018). Es una técnica que en pacientes jóvenes presenta las ventajas de inducir el crecimiento óseo, propiciar el crecimiento del proceso alveolar y permitir además el tratamiento ortodóncico, siendo por ello la técnica de elección en este perfil de pacientes si existe un diente donante (Czochrowska y cols. 2000; Andreasen y cols. 2009). Presentamos en este artículo un caso clínico de un paciente al que se realizó un autotrasplante dental de segundo premolar inferior a incisivo central. En el control a los 18 años el diente autotrasplantado se mantiene en buenas condiciones, como cualquier otro diente de la arcada dentaria.

AUTOTRASPLANTE DENTAL 40 eldentistamoderno abril 2023
caso clínico
u Contacto José Espona joseespona@uic.es Artículo cedido por SEPA

Presentación del caso

Un paciente de 8 años se cayó en el colegio jugando al fútbol, sufriendo la avulsión del diente 1.1. La madre se puso en contacto con la consulta explicando el suceso y los referimos a la Clínica Universitaria de Odontología (CUO) de la Universitat Internacional de Catalunya para el tratamiento de la urgencia. En el momento del contacto telefónico, el diente llevaba fuera de la boca en seco más de 90 minutos, y cuando llegó a la CUO habían pasado más de 2 horas y media desde el accidente. Ello implicaba un pésimo pronóstico del diente en caso de reimplante, dado que acabaría en anquilosis, pero se tomó la decisión de proceder igualmente a su reimplante (Malmgren y Malmgren 2002). Se lavó el

diente con suero fisiológico, se sumergió en fluoruro sódico durante 5 minutos (Selvig y Zander 1962; Shulman y cols. 1998), y, previa anestesia local, se limpió el alvéolo profusamente con suero fisiológico a presión, y se reimplantó el diente en el lecho alveolar. Se procedió a la ferulización del diente con un alambre de ortodoncia de 0,018, siendo éste el único alambre que encontraron en el momento de la actuación. Se prescribió al paciente antibiótico y antiinflamatorio (amoxicilina + ácido clavulánico) y se le citó al cabo de una semana para proceder al tratamiento de conductos. El paciente estaba al corriente de la vacunación antitetánica. A los 15 días se retiró la ferulización al diente, y se procedió a realizar el tratamiento de conductos del diente (Figura 1).

41 eldentistamoderno abril 2023
José Espona Odontólogo. Profesor asociado, Área de Odontología Restauradora, Área de Periodoncia, Universitat Internacional de Catalunya.
SEPA-DM
Elena Roig Odontóloga. Profesora asociada, Universitat Internacional de Catalunya. Francesc Abella Odontólogo. Director del Máster en Endodoncia, Universitat Internacional de Catalunya. Andreu Puigdollers Médico estomatólogo. Jefe del Área de Ortodoncia, Universitat Internacional de Catalunya. Joan Grau Cirujano máxilo-facial. Miguel Roig Médico estomatólogo. Catedrático, jefe del Área de Restauración Dental, Universitat Internacional de Catalunya.
1
Figura 1. Paciente de 8 años que acude por avulsión del diente 1.1. El diente lleva más de dos horas en seco fuera de la boca. Tras el reimplante se procede a la ferulización, y el diente queda integrado en el alvéolo.

caso clínico

El paciente presentaba una clase 2 división 1 de Angle, por lo que se consultó con el departamento de ortodoncia la posibilidad de requerir extracciones para la futura corrección ortodóncica del caso. El estudio ortodóncico mostró que el paciente requeriría tratamiento de ortodoncia con extracciones que incluirían los premolares inferiores (Figura 2). Al haber estado el diente más de una hora en seco con un total de 3 horas fuera de la cavidad oral, teníamos la certeza de que se iba a producir una reabsorción por sustitución, y que por tanto el diente se iba a perder irremediablemente, si bien disponíamos de unos años de margen para que este suceso finalmente se produjese. Se decidió por ello realizar un autotrasplante del diente 4.5 al diente 1.1. Dado que el mayor porcentaje de éxito en autotrasplantes sucede cuando estos se realizan de un premolar inferior a un incisivo central, como el caso que nos ocupaba, y cuando se ha producido un desarrollo de entre 2/3 y 3/4 de la raíz del diente donante, decidimos ir observando el desarrollo del diente donante hasta que se completaron 2/3 de su desarrollo radicular (Figura 3). En ese momento, teniendo el paciente 10 años, se procedió a extraer el diente 1.1 y a labrar un lecho alveolar con una fresa de implantes gruesa donde alojar el diente 4.5 (Figura 4). Completada la formación del alvéolo se procedió a la exodoncia del diente 4.5 (Figura 5), que se llevó al lecho preparado en la zona de extracción del diente 1.1. Se completó la remodelación del lecho alveolar mediante fresas hasta que el encaje del diente fue correcto, y seguidamente se procedió a su ferulización en la posición deseada, con una ligera infraoclusión, por medio

AUTOTRASPLANTE DENTAL 42 eldentistamoderno abril 2023
Figura 2. El estudio ortodóncico muestra una clase II con biprotusión que hace aconsejable la exodoncia de premolares inferiores. Figura 3. Se realizan controles radiográficos periódicos hasta comprobar que se ha formado entre 2/3 y 3/4 de la raíz del diente donante (4.5). Figura 4. Se preparó el lecho receptor en la zona correspondiente al diente 1.1 con fresas de preparación de implantes.
2 3 4 5
Figura 5. Se procedió a la exodoncia del diente 4.5.

de una sutura cruzada con seda de 4/0 (Figura 6). Se prescribió al paciente antibiótico (amoxicilina + ácido clavulánico) por una semana y se le citó de nuevo en la CUO al cabo de 2 semanas. A las 2 semanas se retiró la sutura tras comprobar que el diente estaba estable en el lecho generado.

El tratamiento ortodóncico del paciente se extendió por 4 años (Onsson y Sigurdsson 2004; Hariri y Alzoubi 2019). Una primera fase del tratamiento con

disyuntor (Figura 7), presente cuando se realizó el autotrasplante, permitió la erupción completa del diente autotrasplantado. La radiografía mostró una calcificación intrapulpar, signo de una correcta revascularización, así como un incremento de la longitud de la raíz (Figura 8).

Tras una primera fase con disyuntor, se pasó a una ortodoncia completa con brackets (Figura 9). Previo a su colocación, se remodeló con fresas diamanta-

43 eldentistamoderno abril 2023
6 7
Figura 6. Se coloca el diente donante en el lecho preparado en el área del diente 1.1. Se deja el diente en ligera intrusión y se fija con seda de 4/0. Figura 7. Se realizó una primera fase de ortodoncia con un disyuntor. 8 Figura 8. La radiografía periapical de control muestra la radiopacidad del interior del diente, lo que implica la revascularización y posterior calcificación, signo de éxito en estos casos.

caso clínico

das la cara palatina del diente para permitir una correcta oclusión, a la vez que se realizó una reconstrucción de composite para dar al diente una morfología de incisivo central (Figura 10). A lo largo del tratamiento de ortodoncia se abrió el espacio del diente 1.1 para poder dar un poco más de anchura al mismo, tras lo cual se cambió la reconstrucción de composite. A los 10 años del tratamiento se observó que el perfil gingival del diente 1.1 era más plano que el del diente 2.1, por lo que se realizó un ligero alargamiento con remodelación quirúrgica sin colgajo, para conseguir una mejor estética gingival (Figura 11).

En cuanto al seguimiento del caso, se han ido realizando controles anuales al paciente, sin que se observen anomalías en el diente autotrasplantado, que tiene un comportamiento como el resto de los dientes de la arcada (Figura 12). El último control se ha realizado 18 años después del autotrasplante (Figura 13). En esta revisión se observa un descascarillado ligero de la obturación de composite del diente 2.1, y se recomienda al paciente la realización de dos carillas de cerámica, pero el paciente, ahora de 27 años, prefiere posponer la preparación y colocación de las mismas.

AUTOTRASPLANTE DENTAL 44 eldentistamoderno abril 2023
9
10
Figura 9. Se realizó una segunda fase ortodóncica con brackets. El diente autotrasplantado tiene un ligamento periodontal normal y se comporta como cualquier otro diente de la arcada. Figura 10. Se remodeló la anatomía del diente y se realizó una reconstrucción directa de composite.
45 eldentistamoderno abril 2023 11 12
Figura 11. Para nivelar un poco los márgenes gingivales se realizó un ligero alargamiento coronario sin colgajo. Figura 12. En sucesivos controles a lo largo del tiempo se observa la correcta integración del diente autotrasplantado.

caso clínico

Discusión

El reimplante de un diente avulsionado que ha estado más de 90 minutos en seco y cerca de 2 horas y media fuera de la boca tiene mal pronóstico, y acaba inexorablemente en reabsorción por sustitución, ante la ausencia de ligamento periodontal. Ante ello, es cuestionable que se deba proceder al reimplante. No obstante, en el caso que presentamos, con un paciente de solo 9 años, la no reimplantación del diente conllevaría una pérdida de hueso muy grande en la zona edéntula, de muy difícil regeneración en el futuro. El reimplante permite retrasar la pérdida de volumen horizontal del hueso en la zona, pues cuando se produce la reabsorción por sustitución del diente, en realidad el tejido duro dentario es sustituido por tejido óseo. En este paciente se optó por ello por el reimplante, a la espera de decidir más adelante si se realizaría un autotrasplante o, de no poderse, una decoronación. La decoronación es una técnica clínica que permite que prosiga el crecimiento vertical del proceso alveolar en la zona del diente anquilosado, de modo que al completar el crecimiento (o al alcanzar la edad aconsejada) se pueda proceder a la colocación de un implante en mejores condiciones (Malmgren 2013). En el caso presentado el diente reimplantado se ferulizó con un alambre excesivamente grueso. Una ferulización excesivamente rígida puede contribuir a la aparición de anquilosis en el caso de reimplantes, pero en este caso concreto, dado que la anquilosis se iba a producir inexorablemente, entendemos que el error de elección no tiene ninguna relevancia, pues no se esperaba la formación de ligamento periodontal en ningún caso (Fouad y cols. 2020).

El autotrasplante dental es una técnica clínica contrastada con un excelente pronóstico, especialmente cuando se realiza en dientes con ápice inmaduro y con un desarrollo radicular de entre 2/3 y 3/4 de la raíz. Y es especialmente exitoso cuando se realiza un autotras-

plante de premolar monorradicular a un incisivo central superior. Hay series de más de 100 casos en que autores han descrito índices de éxito cercanos al 100 % (Kvint y cols. 2010).

La mayor parte de las avulsiones dentarias en dientes anteriores se producen en pacientes con malposición dentaria tipo 2 de Angle (Borzabadi-Farahani y Borzabadi- Farahani 2011). Ello hace que la mayoría de las anquilosis se vean también en pacientes con esta patología. Muchos de estos casos requieren para su corrección ortodóncica de la extracción dentaria, por lo que, cuando vemos un paciente joven con anquilosis, es conveniente hacer una valoración ortodóncica para determinar si el paciente requiere tratamiento con extracciones, en cuyo caso la opción del autotrasplante cobra todo el sentido. Recordemos que un diente con anquilosis en sector anterior, en un paciente joven, va progresivamente quedando en infraposición respecto a los dientes vecinos, pues se produce un crecimiento alveolar en todos los dientes anteriores, mientras que el diente anquilosado, al carecer de ligamento periodontal, no experimenta ese proceso. Esa es también la razón por la que no es aconsejable colocar implantes en el sector anterosuperior en pacientes jóvenes, pues se comportan igual que un diente anquilosado, causando la progresiva infraoclusión del implante (Heij y cols. 2006; Daftary y cols. 2013; Aarts y cols. 2015; Schwartz-Arad y Bichacho 2015), obligando al cambio de la corona y a posibles injertos posteriores para tratar de camuflar el defecto. Es por ello importante, en un paciente en crecimiento, establecer la posibilidad de realizar un autotrasplante, y, en su defecto, deberemos descartar el implante dental y plantearnos realizar una decoronación, colocando una prótesis adhesiva tipo Maryland, hasta que el paciente alcance una edad adecuada para la colocación del implante (Malmgren 2013).

AUTOTRASPLANTE DENTAL 46 eldentistamoderno abril 2023
13 Figura 13. En el último control, a los 18 años del autotrasplante, se observa una correcta integración del diente, con normalidad radiográfica y de los tejidos blandos.

El diente autotrasplantado tiene un comportamiento funcional idéntico al de cualquier otro diente en caso de éxito. Y aunque el porcentaje de éxito es muy alto, es preciso tener presente la posibilidad de complicaciones o incluso pérdida del diente donante. Entre las posibles complicaciones destaca la anquilosis del diente autotrasplantado. Para tratar de prevenirla la literatura aconseja limitar el tiempo de exposición extraoral del ligamento periodontal del diente autotrasplantado, así como las lesiones mecánicas al mismo, además de ferulización de menos de 2 semanas. Para ello hay que realizar una adecuada preparación del lecho alveolar artificial previo a la exodoncia del diente donante. Al probar el encaje en el lecho pueden lesionarse las células del ligamento periodontal, por lo que en nuestro caso se trató de evitar ejercer demasiada presión al probar si el diente encajaba; y mientras se remodelaba el alvéolo se depositó de nuevo el diente en el lecho donante, para minimizar el daño a las células del ligamento periodontal. Hoy en día se han desarrollado técnicas de fabricación de réplicas por impresión tridimensional (3D) del diente donante, a partir de una segmentación de este a partir de una tomografía computarizada de ház cónico (TCHC), para reducir el tiempo extraoral y el daño al ligamento periodontal al probar su encaje en el lecho artificial receptor, técnicas no disponibles en el momento de realizar el tratamiento, pero que en la actualidad sin duda hubiésemos utilizado (Abella Sans y cols. 2021). Otro de los factores que parecen condicionar la aparición de anquilosis del diente autotrasplantado es el tipo de ferulización utilizado. Es importante que se utilice una ferulización no rígida, y entre ellas parece que la que da mejor resultado es la utilización de sutura dental (Bauss y cols. 2005). Dado que esta fue la técnica utilizada en este caso, puede haber sido otro de los factores favorables que hayan contribuido al éxito. Se pautó también antibiótico al paciente, lo cual no encaja del todo con la política antibiótica hoy vigente, pero que en la literatura aparece como un factor favorable (Chung y cols. 2014).

Otro de los problemas que se pueden presentar es la no revascularización del diente, que puede dar lugar a infecciones, y a una raíz más corta por detención del crecimiento radicular. Hacer la extracción cuando la raíz está en un estadio de formación entre 2/3 y 3/4, como ocurrió en este caso, parece minimizar la aparición de esos problemas. Asimismo, parece que un factor importante para que se complete el desarrollo radicular es el dejar el diente en ligera infraoclusión, idealmente en el mismo nivel de infraoclusión que tenía el diente en el lecho donante (Andreasen y cols. 1990; Denys y cols.

2013). En nuestro caso el diente no se dejó tan enterrado como lo estaba en el lecho donante, pero sí en una infraoclusión de 3 mm, lo que contribuyó probablemente al crecimiento radicular. En las radiografías periapicales de control se observa que el conducto radicular del diente autotrasplantado está totalmente obliterado. Ello no es señal de fracaso, sino de la revascularización del diente, que es la que ha permitido la aparición del tejido calcificado (no nos atrevemos a calificar qué tipo de tejido es exactamente) en la luz del conducto. Es importante recordar que en el autotrasplante de dientes monorradiculares con ápice abierto, como el del caso que presentamos, no se debe realizar tratamiento de conductos, salvo que haya signos o síntomas de infección. Realizar el tratamiento de conductos impide que prosiga el crecimiento radicular, a la vez que aumenta el riesgo de fractura del diente, al quedar las paredes radiculares muy finas. La diferente anchura del diente donante respecto al correspondiente receptor puede ser un problema en el sector anterosuperior. En este caso se tomó como donante un segundo premolar inferior, cuyo diámetro mesio-distal es bastante inferior al de un incisivo central superior. Para compensar en parte esa diferencia, se decidió colocar el diente con un giro de 90º, pues el diámetro vestíbulo-lingual es mayor al mesio-distal, asemejándose así más al diámetro mesio-distal del incisivo central superior. Con todo, existió una ligera reducción de tamaño que tuvo que compensarse abriendo el espacio con la ortodoncia y colocando una reconstrucción de composite

Conclusión

El autotrasplante es una técnica clínica contrastada que ofrece un porcentaje de éxito muy elevado, si se realiza una adecuada selección del caso y una correcta técnica clínica. En este artículo mostramos el seguimiento de 18 años de un caso de reabsorción por sustitución del diente 1.1, con marcada infraoclusión, a consecuencia de una avulsión y reimplante tardío a los 8 años. La elección de esta opción terapéutica ha permitido al paciente alcanzar la vida adulta con un diente natural con completa funcionalidad y preservación de la totalidad del hueso alveolar en la zona del problema 

RELEVANCIA CLÍNICA

El autotransplante de premolar a incisivo central es un tratamiento muy predecible con excelente pronóstico a largo plazo.

47 eldentistamoderno abril 2023

caso clínico

Resumen

La avulsión dentaria es un suceso relativamente común en edad infantil. Un reimplante diferido en el tiempo puede comprometer el futuro del diente, siendo la reabsorción por sustitución una opción probable en estos casos. Esa reabsorción en un paciente joven suele acompañarse de infraposición progresiva del diente anquilosado y acaba habitualmente con la pérdida del diente y del hueso de soporte. El autotrasplante dental ha sido propuesto como una de las técnicas para abordar esta problemática en pacientes en crecimiento. Presentamos un caso de un niño de 8 años que sufrió una avulsión con reimplante tras más de dos horas que acabó con reabsorción por sustitución. Tras estudio ortodóncico se decidió autotrasplantar el diente 4.5 en el lecho de extracción, previamente acondicionado, del diente 1.1. A los 18 años el diente trasplantado presenta total funcionalidad masticatoria, fonatoria y estética, con completo mantenimiento del hueso alveolar y normalidad de los tejidos blandos periodontales. El caso presentado no es un caso excepcional, sino un ejemplo de un tratamiento altamente predecible con una alta evidencia clínica de soporte.

Bibliografía

Aarts BE, Convens J, Bronkhorst EM, Kuijpers-Jagtman AM, Fudalej PS. (2015) Cessation of facial growth in subjects with short, average, and long facial types - Implications for the timing of implant placement. Journal of Cranio-Maxillofacial Surgery 43, 2106-2111.

Abella Sans F, Ribas March F, Zubizarreta-Macho A, Boschini L, Roig Cayon M, Duran-Sindreu Terol F. (2021) Guided autotransplant of a first premolar to replace a maxillary ankylosed incisor using a custom-designed osteotome. The Journal of the American Dental Association 153, 265-272.

Akhlef Y, Schwartz O, Andreasen JO, Jensen SS. (2018) Autotransplantation of teeth to the anterior maxilla: A systematic review of survival and success, aesthetic presentation and patient-reported outcome. Dental Traumatology 34, 20-27.

Andersson L, Bodin I, Sorensen S. (1989) Progression of root resorption following replantation of human teeth after extended extraoral storage. Endodontics & Dental Traumatology 5, 38-47.

Andersson L, Andreasen JO, Day P, Heithersay G, Trope M, Diangelis AJ, Kenny DJ, Sigurdsson A, Bourguignon C, Flores MT, Hicks ML, Lenzi AR, Malmgren B, Moule AJ, Tsukiboshi M. (2012) International Association of Dental Traumatology guidelines for treatment of traumatic dental injuries: 2. Avulsion of permanent teeth. Dental Traumatology 28, 88-96.

Andreasen JO, Paulsen HU, Yu Z, Bayer T. (1990) A long-term study of 370 autotransplanted premolars. Part IV. Root development subsequent to transplantation. European Journal of Orthodontics 12, 38-50.

Andreasen JO, Ravn JJ. (1972) Epidemiology of traumatic dental injuries to primary and permanent teeth in a Danish population sample. International Journal of Oral Surgery 1, 235-239.

Andreasen JO, Schwartz O, Kofoed T, Daugaard-Jensen J. (2009) Transplantation of premolars as an approach for replacing avulsed teeth. Pediatric Dentistry Journal 31, 129-132.

Araujo MG, Lindhe J. (2005) Dimensional ridge alterations following tooth extraction. An experimental study in the dog. Journal of Clinical Periodontology 32, 212-218.

Barrett EJ, Kenny DJ. (1997) Survival of avulsed permanent maxillary incisors in children following delayed replantation. Endodontics & Dental Traumatology 13, 269-275.

Bauss O, Schwestka-Polly R, Schilke R, Kiliaridis S. (2005) Effect of different splinting methods and fixation periods on root development of autotransplanted immature third molars. Journal of Oral and Maxillofacial Surgery 63, 304-310. Borzabadi-Farahani A, Borzabadi-Farahani A. (2011) The association between orthodontic treatment need and maxillary incisor trauma, a retrospective clinical study. Oral Surgery, Oral Medicine, Oral Pathology, and Oral Radiology 112, 75-80.

Chung WC, Tu YK, Lin YH, Lu HK. (2014) Outcomes of autotransplanted teeth with complete root formation: A systematic review and meta-analysis. Journal of Clinical Periodontology 41, 412-423.

Czochrowska EM, Stenvik A, Album B, Zachrisson BU. (2000) Autotransplantation of premolars to replace maxillary incisors: A comparison with natural incisors. American Journal of Orthodontics and Dentofacial Orthopedics 118, 592-600.

Daftary F, Mahallati R, Bahat O, Sullivan RM. (2013) Lifelong craniofacial growth and the implications for osseointegrated implants. The International Journal of Oral & Maxillofacial Implants 28, 163-169.

Denys D, Shahbazian M, Jacobs R, Laenen A, Wyatt J, Vinckier F, Willems G. (2013) Importance of root development in autotransplantations: A retrospective study of 137 teeth with a follow-up period varying from 1 week to 14 years. European Journal of Orthodontics 35, 680-688.

Fouad AF, Abbott PV, Tsilingaridis G, Cohenca N, Lauridsen E, Bourguignon C, O‘Connell A, Flores MT, Day PF, Hicks L, Andreasen JO, Cehreli ZC, Harlamb S, Kahler B, Oginni A, Semper M, Levin L. (2020) International Association of Dental Traumatology guidelines for the management of traumatic dental injuries: 2. Avulsion of permanent teeth. Dental Traumatology 36, 331-342.

Hammarstrom L, Pierce A, Blomlof L, Feiglin B, Lindskog S. (1986) Tooth avulsion and replantation – a review. Endodontics & Dental Traumatology 2, 1-8.

Heij DG, Opdebeeck H, van Steenberghe D, Kokich VG, Belser U, Quirynen M. (2006) Facial development, continuous tooth eruption, and mesial drift as compromising factors for implant placement. The International Journal of Oral & Maxillofacial Implants 21, 867-878.

Humphrey JM, Kenny DJ, Barrett EJ. (2003) Clinical outcomes for permanent incisor luxations in a pediatric population. I. Intrusions. Dental Traumatology 19, 266-273.

Kvint S, Lindsten R, Magnusson A, Nilsson P, Bjerklin K. (2010) Autotransplantation of teeth in 215 patients. A follow-up study. Angle Orthodontist 80, 446-451.

Lindskog S, Pierce AM, Blomlof L, Hammarstrom L. (1985) The role of the necrotic periodontal membrane in cementum resorption and ankylosis. Endodontics & Dental Traumatology 1, 96-101.

Malmgren B, Malmgren O. (2002) Rate of infraposition of reimplanted ankylosed incisors related to age and growth in children and adolescents. Dental Traumatology 18, 28-36.

Malmgren B. (2000) Decoronation: how, why, and when?

Journal of the California Dental Association 28, 846-854. Malmgren B. (2013) Ridge preservation/decoronation.

Journal of Endodontics 39 Suppl 3, S67-S72.

Nikoui M, Kenny DJ, Barrett EJ. (2003) Clinical outcomes for permanent incisor luxations in a pediatric population. III. Lateral luxations. Dental Traumatology 19, 280-285.

Onsson T, Sigurdsson TJ. (2004) Autotransplantation of premolars to premolar sites. A long-term follow-up study of 40 consecutive patients. American Journal of Orthodontics and Dentofacial Orthopedics 125, 668-675.

Pietrokovski J, Massler M. (1967) Alveolar ridge resorption following tooth extraction. The Journal of Prosthetic Dentistry 17, 21-27.

Schropp L, Wenzel A, Kostopoulos L, Karring T. (2003) Bone healing and soft tissue contour changes following single-tooth extraction: A clinical and radiographic 12-month prospective study. The International Journal of Periodontics & Restorative Dentistry 23, 313-323.

Schwartz-Arad D, Bichacho N. (2015) Effect of age on single implant submersion rate in the central maxillary incisor region: A long-term retrospective study. Clinical Implant Dentistry and Related Research 17, 509-514.

Selvig KA, Zander HA. (1962) Chemical analysis and microradigraphy of cementum and dentin from periodontally diseased human teeth. Journal of Periodontology 33, 303-310.

Shulman LB, Kalis P, Goldhaber P. (1998) Fluoride inhibition of tooth-replanted root resorption in cebus monkeys. Journal of Oral Therapeutics and Pharmacology 4, 331-337.

DENTAL 48 eldentistamoderno abril 2023
AUTOTRASPLANTE

Siguiendo la evolución de la Odontología para el profesional del sector llamado a construir el futuro

HEALTH AND TECHNOLOGY SOLUTIONS

by

“Talentua quiere ser el socio estratégico en la implantación de soluciones tecnológicas”

Por Juan M. Molina, fundador y CEO de Talentua

ORAL MEDICINE INSIDE by

Realidad Virtual, una Realidad en el III Congreso Knotgroup. El futuro en la Clínica y la Formación

Por Dr. Didier Delmas y Dr. Rafael Areses

PENSANDO EN EL FUTURO Inteligencia Artificial y Ciencias de la Salud: ¿cómo afecta al desempeño de nuestra labor como sanitarios? Por Dras. Karla Mora y Ana Boquete

Jun

IWATA

SEPE S 52

VALENCIA 23

12-14/OCT.

a somos digitales. Y ahora ¿que?

a somos digitales. Y ahora, ¿qué?

Javier VASQUEZ

OCLUSIÓN Y ARTICULADORES CARILLAS SOLUCIONES FRESADAS PERIO/PROS

PRÓTESIS APNEA ANALÓGICO Vs. DIGITAL ESTÉTICA ROSA Vs. BOPT

CIRUGÍA GUIADA DE IMPLANTES DIGITAL CIRUGÍA / IMPLANTES

PREPARACIONES DENTARIAS MAESTROS DE LA PROSTODONCIA GESTIÓN

Tarifa superreducida HASTA 30 DE ABRIL

COLOR
Markus HÜRZELER Luca LAVORGNA Josef KUNKELA Stefano GRACIS Daniel EDELHOFF Ignazio LOI Giovanni ZUCCHELLI
APP del congreso disponible en:
Domenico MASSIRONI
PUEDES IMPRIMIR TODAS ESTAS APLICACIONES EN ODONTOLOGIA. E L F L U J O D E T R A B A J O D E I M P R E S I Ó N D E N T A L 3 D M Á S R Á P I D O SprintRay Europe GmbH Brunnenweg 11 64331 Alemania info.eu@sprintray.com www.sprintray.com 00800 70 70 8000 SOLICITAR UNA MUESTRA

“TALENTUA QUIERE SER EL SOCIO ESTRATÉGICO EN LA IMPLANTACIÓN DE SOLUCIONES TECNOLÓGICAS”

Su inquietud por la transformación 4.0 del sistema de salud y su dilatada experiencia en los sectores dental, médico y tecnológico impulsaron a Juan M. Molina a crear Talentua, empresa de consultoría y soluciones para la tecnología sanitaria. A lo largo de esta entrevista Juan M. Molina, fundador y CEO de la compañía, nos desvela las claves del nuevo entorno tecnológico que rodea al sector sanitario y cómo la transformación digital de las clínicas dentales contribuye a mejorar la eficiencia “para dar la importancia al cliente/paciente y al equipo y las personas que lo integran”.

Contacto: contacto@talentua.es +34 935484595

50 eldentistamoderno abril 2023 TALENTUA
Health and Technology Solutions

 DM.- ¿Qué fue lo que le impulsó a crear Talentua?

Juan M. Molina (J.M.M.).- Mi inquietud por la transformación del sistema de salud 4.0. Tras 17 años en el sector dental y médico privado y casi 25 en el de la tecnología, he visto patrones muy similares cuando hay un cambio de ciclo e impacto tecnológico.

Esto ya ha llegado al sector sanitario y está impactando muy rápido desde la COVID-19, creando problemáticas en la gestión muy similares en todos los sectores y empresas, bien sean clínicas, laboratorios u hospitales.

Todos los gestores se enfrentan en estos momentos disruptivos a gestión de personal, inversión en tecnología, comunicación con el paciente, relaciones con proveedores, formación continuada y, lo más importante, necesitan que la tecnología funcione y que el equipo le saque rendimiento. Para dar apoyo a los profesionales, en toda esa transformación, innovación y evolución del negocio, es por lo que nace Talentua.

Somos un asesor, socio estratégico, para que el profesional pueda preguntarnos sus inquietudes tecnológicas y recibir respuestas profesionales mientras se centra en el paciente.

 DM.- ¿Cuál es la filosofía de la compañía?

J.M.M.- Nuestra filosofía es apoyar a nuestros clientes en la adaptación y transformación de sus negocios aportando respuestas y soluciones a sus necesidades. En otras palabras, asesoramos y estamos al lado de nuestros clientes y de sus organizaciones para dar soluciones bajo el concepto de la eficiencia, donde la tecnología debe ayudar para dar la importancia al cliente/paciente y al equipo y las personas que lo integran. De esta forma podemos trabajar conjuntamente para desarrollar estrategias de negocio que les ayuden a seguir creciendo, consolidado su posición de mercado usando la innovación, la transformación y la sostenibilidad como ejes de aportación de valor para conseguir la excelencia.

 DM.- Talentua es una empresa de consultoría estratégica de la mano de especialistas del sector de la tecnología y la salud. ¿En qué pilares se asienta la propuesta de valor añadido de Talentua?

J.M.M.- Nuestra propuesta de valor va unida a la inversión tecnológica y su impacto en la clínica o hospital. Es decir, cuando inviertes en tecnología,

no eres consciente en muchas ocasiones de los cambios que debes de realizar en tu día a día: desde redefinición de procesos, formación al equipo y comunicación con el paciente. Por tanto, nuestra propuesta de valor se basa en ofrecer soluciones 360º en 6 grandes bloques que actualmente están impactando en todo el ámbito sanitario incluido las clínicas dentales y creeme cualquier empresa pasa por estas fases de decisión cuando inicia una transformación 4.0:

1. Personas y Organización (RRHH y Coaching).

2. Estrategia y Objetivos.

3. Tecnología:

a. Informática, SaaS, Ciberseguridad, virtualización de sistemas, APP’s, Data Analytics.

b. Sanitaria, IOS, Impresión 3D, Imágenes 3D, IA, Telemedicina.

c. Servicio Técnico, clave para el objetivo final usar y rentabilizar las inversiones.

4. Rediseño de procesos.

5. Plataforma de Servicios y formación continuada sobre uso de dispositivos y gestión empresarial.

6. Comunicación con el paciente.

 DM.- Teniendo en cuenta el nuevo entorno tecnológico en el que se encuentra inmerso el sector odontológico, ¿qué ofrece exactamente Talentua a las clínicas dentales?

J.M.M.- Talentua ofrece un único punto de contacto profesional para garantizar que la inversión, la necesidad y el servicio sean los esperados. Sobre todo, en el momento actual casi todas las clínicas están comprando tecnología para tener un workflow digital interno o conectado con su laboratorio; aunque lo más importante es que funcione y el rendimiento sea el adecuado, y para eso ofrecemos soluciones y un servicio integral de calidad.

Juan M. Molina es CEO de Talentua, empresa de consultoría y soluciones para la tecnología sanitaria. Juan M. Molina cuenta con 25 años de experiencia en el sector de las TIC’s y Comunicaciones; así como con 17 años de experiencia en el sector odontológico y médico. Fue durante 6 años presidente del sector dental de FENIN. Entre sus varias titulaciones cuenta con los títulos de “Transformación del Sistema Sanitario 4.0”, por Harvard Medical University; “IA aplicado a la estrategia de la salud”, por MIT Boston; y “Digital Mindset”, por le IESE.

51 eldentistamoderno abril 2023
Talentua nace para dar apoyo a los profesionales, en toda esa transformación, innovación y evolución del negocio ”
Juan M. Molina

Health and Technology Solutions

Permíteme poner tres ejemplos para comprender qué ofrecemos:

a) Cuántos profesionales han comprado una IOS y no están encontrando el rendimiento adecuado. Cuántos su curva de aprendizaje ha ido más allá de lo esperado en tiempo.

b) O, por ejemplo, comprar sistemas IOS wifi y no tener señal wifi de calidad en toda la clínica, con el retraso de la puesta en marcha y gastos adicionales de ampliación de la señal.

c) Otro ejemplo: todo el mundo habla del uso de IA en el sector dental; la cuestión es si nuestra clínica tiene la infraestructura informática adecuada y con las medidas de seguridad adecuadas, para su uso. Y muy importante, nuestro equipo comprende cómo esa tecnología les va ayudar. Nosotros damos respuesta y solución a todas esas cuestiones o situaciones, porque en el uso de la tecnología hay que hacer que funcione y funcione correctamente. Por ello, ya no vale todo, debemos de centrarnos en eficiencia, sostenibilidad y mejora de los tratamientos, es decir, eficacia. Desde Talentua, damos tranquilidad en la inversión basándonos en la “escucha activa del cliente”. El profesional es quien mejor conoce su negocio y su necesidad. Y Talentua le explica las nuevas tendencias tecnológicas y cómo van a impactar en su negocio, en su equipo y en la comunicación con el paciente. En definitiva, ponemos en marcha soluciones avanzadas de integración de sistemas.

 DM.- En su opinión, ¿cómo definiría usted lo que es la digitalización y por qué es importante aplicarla a las clínicas dentales?

J.M.M.- Creo que el cambio de paradigma que ha provocado el impacto tecnológico en las clínicas dentales es evidente, desde equipamiento hasta nuevos materiales, nuevas técnicas, la revolución de la ortodoncia, la impresión 3D, IOS, etc.

Ya en el 2017, había dado algunas charlas hablando de la tecnología y la importancia del dato así como de la comunicación con el paciente. En ese momento, quizás un poco temprano, ya hablaba de la importancia de digitalizarse para ser competitivo.

Afortunadamente, en España ya tenemos un 3035% de clínicas digitalizadas o en fase de digitalizarse, lo que es un gran avance.

Actualmente, si una clínica no se digitaliza, es decir, recurre al uso de IOS, CBT, 3D, software de gestión, IA y un buen servicio técnico integral, le va a ser difícil competir.

Estamos viendo tratamientos cada vez más eficaces con grandes resultados para el paciente y en algunos casos con ofertas más competitivas. Y eso sólo es posible con el uso de tecnología. Por tanto, el uso de ésta junto a software de gestión o el uso de data analytics son claves para el éxito de futuro. Esto nos ayudará a entender y comprender mejor las necesidades del paciente, cada vez más exigente y mejor informado.

 DM.- ¿Cuáles son las principales ventajas de digitalizar una clínica dental?

J.M.M.- En mi opinión, la primera y principal es que hará la vida del profesional más fácil una vez pasado el periodo de aprendizaje. Como consecuencia, implica agilizar los tratamientos, es decir, hacerlos en menos tiempo con más exactitud y menos dolor, lo que redunda en una calidad de servicio para el paciente. Y, por tanto, en la rentabilidad clínica.

52 eldentistamoderno abril 2023 TALENTUA
Talentua ofrece a las clínicas dentales un único punto de contacto profesional para garantizar que la inversión, la necesidad y el servicio sean los esperados ”

Lógicamente la tecnología también tiene impacto en la sostenibilidad ya que su uso, como los IOS o CBT 3D, evita el tema de radiografías en film y, por tanto, evitamos residuos o tener un software de gestión o consentimientos informatizados, evitamos papel, etc. Y, por último, mejora de procesos que redunda, si lo hacemos bien, en mayor calidad asistencial y en poder atender más pacientes en el mismo tiempo con la misma calidad.

 DM.- En este sentido, ¿cuál es el impacto de aplicar la tecnología en la clínica: recursos humanos, equipo de profesionales, comunicación con el paciente, etc.?

J.M.M.- Como impacto, me remito a lo comentado anteriormente; si quieres hacerlo bien, deberías evaluar tu clínica o laboratorio en un 360º. Ésa es nuestra razón de ser, porque cambias todo. No es lo mismo tomar una impresión dental tradicional con cubeta y todo el proceso de toma, laboratorio, incomodidad al paciente, etc. que hacerlo digitalmente

con cualquiera de los sistemas digitales actuales. Por tanto, sólo esto tan básico afecta a todo el proceso. Por ejemplo, en el método tradicional puede ser que la muestra vaya clínica-laboratorio de media unas 4-5 veces y necesitamos 3 ó 4 visitas del paciente. En digital solo 1 ó 2 visitas y se puede rediseñar en el momento con el paciente en el sillón. El cambio demográfico hace que cada vez más los pacientes saben más, tiene el concepto wellness más interiorizado y el uso de la tecnología es importante para ellos, ya que les ahorra tiempo y eso impacta en nuestros equipos y en cómo hablar al paciente. Es decir, transfórmate y hazlo bien acompañado de un buen asesoramiento y el retorno de inversión lo verás muy rápido.

 DM.- ¿Y cómo logran desde Talentua que esta transformación digital y tecnológica sea eficiente?

J.M.M.- Nuestra metodología se basa en 6 bloques (descritos anteriormente); son muy claros y sabe-

53 eldentistamoderno abril 2023

Health and Technology Solutions

mos tras muchos años el impacto por el que han pasado muchas industrias y sectores. El sanitario no es diferente y por ello, desde el equipo de Talentua lo primero que intentamos es comprender la necesidad, luego asesorar sobre la tecnología que mejor se adapta a esas necesidades y posteriormente vemos cómo implantarla con éxito, para después dar un servicio de mantenimiento de calidad. Talentua sigue también las normativas de calidad EFQM para poder garantizar una implantación correcta de la gestión de todo el sistema tecnológico de la clínica.

 DM.- Si tenemos en cuenta que en España existen numerosas clínicas que tienden más a ser analógicas que digitales en cuanto a su equipamiento, ¿qué les recomendaría a este tipo de establecimientos para iniciar una transformación de su negocio hacia una digitalización más abierta?

J.M.M.- Creo que recomendar es difícil, porque depende de su necesidad futuro a corto y medio plazo. Seguramente las clínicas actuales analógicas son superiores al 60%, por tanto, en mi opinión lo primero a reconsiderar es si quiero mantener el negocio o si hay sucesión, ya que España tiene grandes profesionales con un relevo generacional increíble. Somos un país de referencia en este aspecto. Por tanto, si vas a continuar, debes considerar la transformación y digitalización de tu clínica o laboratorio de manera seria e invertir siempre con garantías. Y el renting tecnológico es una gran opción que ofrecemos.

¿Cómo empezar? Lo primero será evaluar ese concepto de transformación eficiente adaptado a los nuevos tiempos y formas de trabajar. Creo que las nuevas generaciones profesionales son más digitales y, por tanto, eso facilitará la implementación de tecnología. Lo importante es cómo rediseñas el flujo de trabajo y el equipo, sin olvidarnos del paciente. El paciente es el más importante en saber qué hacemos y para qué lo hacemos. Tecnología, Equipo y Personas deben ir unidos. Por eso, desde Talentua les apoyamos en esas decisiones.

 DM.- Háblenos del flujo digital entre laboratorio y clínica. ¿Qué ventajas aporta a ambas partes?

J.M.M.- En mi opinión se trata de tres conceptos y todos van orientados a disminución de errores, calidad del tratamiento y rentabilidad.

El primero es que la tecnología es más exacta que la acción humana en la toma de medidas, impresio-

nes, etc.; y esto impacta en el factor tiempo. La segunda es que el paciente debe ir menos a la clínica y menos tiempo, debido a que si se disminuyen los errores, se gana en eficiencia y mejora del tratamiento; por tanto, paciente satisfecho. Y tercero, los costes para ambas partes son menores, no hay material, no hay mensajeros entre ambos, etc. Al hacerlo todo on-line con software o procesos muy efectivos se puede optimizar tiempo y el tiempo al final es dinero y reducción de costes o incremento de la eficiencia.

 DM.- Actualmente ya se están aplicando sistemas de Inteligencia Artificial en diversos procesos de la Odontología. ¿En qué procesos en concreto se están realizando estas primeras aplicaciones?

J.M.M.- La verdad es que esto no ha hecho más que empezar y hay muchos fabricantes que están adaptando IA en sus soluciones y otros quizás más startups que ya tienen muy buenas soluciones. En estos momentos lo que más estamos desarrollando desde Talentua es lo siguiente:

A) El análisis de imagen es muy interesante ya que permite tener un pre-diagnóstico, subimos

54 eldentistamoderno abril 2023 TALENTUA
La formación debe ir enfocada no solo a tratamientos, productos y materiales, sino que también a nivel tecnológico y cómo usarlo mejor para sacarle el mayor rendimiento; y eso es vital para la mejora continua de nuestra clínica orientada al paciente y a la eficiencia del equipo clínico

una imagen al sistema y en 30 segundos te da un pre-diagnóstico del estado de la boca, pieza a pieza. Esto ayuda mucho a la comunicación con el paciente de nuevo y sobre todo a prevenir posibles deterioros de otras piezas a posteriori.

B) Otro tema muy interesante es el desarrollado por Sprint Ray que permite subir al sistema una imagen desde la IOS y diseñar una férula o pieza dental y lanzarla a imprimir a la impresora 3D.

C) Por último, para mejorar la comunicación con el paciente, un sistema de voz que interactúa con el paciente y el software de gestión clínico, lo que evita llamadas, pérdidas de visitas y, como consecuencia, pérdida de tiempo y dinero.

Todas estas soluciones son parte de los servicios que ofrecemos en nuestra consultoría para mejorar la implantación tecnológica.

 DM.- ¿Qué es el metaverso y cómo va a cambiar el sector odontológico?

J.M.M.- A esta parte le queda todavía algún tiempo antes de que lo veamos consolidarse en el sector odontológico, ya que debemos unir la realidad del metaverso con las sensaciones y el tacto humano

en la realidad. No obstante, creo que sí tiene cabida relativamente rápida en el sector educativo y de congresos y ferias. El metaverso crea un escenario virtual que, sin ser real, nos permite actuar en él como si lo fuera. Gracias al uso a través de los avatares, los estudiantes de Medicina, Enfermería, Odontología o Fisioterapia podrán hacer sus prácticas y aprender en mejores condiciones. Por ejemplo, serán capaces de llevar a cabo un trasplante de corazón o entrenar un tipo de cura antes de aplicarlo realmente. Asimismo, será posible participar en foros, congresos y reuniones científicas sin tener que desplazarse. De este modo, se agilizarán los avances médicos y sanitarios.

Donde sí se ve más claro será en aplicaciones médicas y de atención sanitaria que incluso podrían ampliarse a la odontología y sus pacientes. El uso del metaverso podrá hacer que nuestra salud se beneficie de la virtualización de algunas dinámicas sanitarias. Éstas son algunas de las posibilidades:

 Los profesionales de la sanidad podrán hacer consultas y atender a los enfermos a distancia, pero de forma muy real.

 Las cirugías se planificarán y ensayarán mejor, por lo que las técnicas quirúrgicas avanzarán.

 Ciertas fobias y adicciones se tratarán con avatares.

 Los niños podrán entretenerse mientras se les aplican actuaciones sanitarias.

 La rehabilitación y la fisioterapia mejorarán sus terapias.

 Se reducirá la saturación hospitalaria, ya que los pacientes podrán acudir a centros médicos virtuales y ser tratados en ellos sin salir de casa.

 DM.- Teniendo en cuenta todos los cambios que supone toda esta transformación digital en el sector odontológico, ¿qué importancia tiene la formación para los profesionales?

J.M.M.- La formación es clave para poder seguir avanzando en todos los sectores y más en el sanitario. De ahí la importancia de disponer de espacios de formación continuada como son las plataformas de formación o, en un futuro, el metaverso. No obstante, es importante tener presente que la formación debe ir orientada no sólo a la teoría, sino también a la práctica y a la calidad más que a la cantidad; aquí las universidades y asociaciones profesionales marcan una pauta importante como referentes.

55 eldentistamoderno abril 2023

Health and Technology Solutions

Estamos en un sector en plena transformación y, por tanto, la formación debe ir enfocada no sólo a tratamientos, productos y materiales, sino también a nivel tecnológico y cómo usarlo mejor para sacarle el mayor rendimiento; y eso es vital para la mejora continua de nuestra clínica orientada al paciente y a la eficiencia del equipo clínico.

 DM.- En su opinión, ¿hacia dónde se dirige el futuro del sector dental en su relación con la tecnología?

J.M.M.- Creo que estamos entrando en un nuevo ecosistema que implica cambios en la definición de clínica dental en los próximos años.

Los fabricantes están innovando mucho en todos los aspectos, no solo tecnológicos, sino también de materiales y por ello, creo que vamos a vivir unos 3-5 años muy interesantes, donde el aprendizaje va a ser crucial. Por todo ello, tenemos que ser conscientes que este nuevo entorno nos llevará a un modelo de innovación tecnológica dentro de nuestra clínica. Hoy estamos hablando de IOS, 3D, IA y Cloud, Data Analytics, virtualización de sistemas, APP ‘s, etc. Estos conceptos tecnológicos impactarán en la formación y los perfiles del personal clínico, los proveedores deberán ser partners y el servicio técnico será vital.

 DM.- ¿En qué proyectos están trabajando actualmente en Talentua? ¿Qué previsiones tienen para este 2023?

J.M.M.- Actualmente, estamos trabajando en soluciones basadas en IA como las descritas anteriormente y en un sistema de auditoría tecnológica para facilitar al profesional que si compra “un sistema” funcione integrado con su clínica.

Además, estamos desarrollando un innovador sistema de comunicación con el paciente, basado en voz y con acceso automatizado a la agenda del doctor con uno de nuestros socios.

Es decir, queremos ser el partner consultor tecnológico integral de la clínica. Es una decisión importante y por ello queremos apoyar en la toma de decisión.

Para este 2023, pensamos que el mercado tecnológico va a continuar creciendo y nuestra propuesta de valor es muy atractiva para clientes que realizan inversiones tecnológicas.

Tenemos previsto ofrecer soluciones de IA integradas con IOS y 3D a unos 300 clientes en 2023 y estamos abiertos a todo el mercado, no sólo clínicas y DSO´s, sino también fabricantes. Sus sistemas se deben integrar en la clínica y necesitan soporte técnico de alta tecnología.

En definitiva, Talentua quiere ser el socio estratégico en la implantación de soluciones tecnológicas. 

56 eldentistamoderno abril 2023 TALENTUA
Hoy estamos hablando de IOS, 3D, IA y Cloud, Data Analytics, virtualización de sistemas, APP ‘s, etc. Estos conceptos tecnológicos impactará n en la formación y los perfiles del personal clínico, los proveedores deberá n ser partners y el servicio técnico será vital
Si desea más información sobre Talentua visite www.talentua.es

III Congreso Knotgroup “Los Orígenes”

(27 mayo 2023, Vigo)

REALIDAD VIRTUAL, UNA REALIDAD EN EL III CONGRESO KNOTGROUP. EL FUTURO EN LA CLÍNICA Y LA FORMACIÓN

¿Alguna vez te has preguntado cómo la Realidad Virtual puede influir en un mundo donde la tecnología cambia constantemente la forma en que experimentamos y nos relacionamos con nuestro entorno? La Realidad Virtual (VR), junto a la Realidad Aumentada (AR) y Realidad Mixta o Híbrida (MR), forma parte de las tecnologías emergentes que están transformando rápidamente diversos sectores y, sin duda, la Odontología. En este artículo, los doctores Delmas y Areses, no solo exploran cómo la VR está potenciando el desarrollo técnico en ingeniería y despliegue de software, sino cómo está mejorando la educación, la práctica odontológica e influyendo en la formación médica.

La Realidad Virtual, un sector en auge Empezaremos analizando las proyecciones económicas y el crecimiento en el sector de la VR. Según McKinsey, el mercado de VR tiene previsto alcanzar los 48,2 mil millones de dólares en 2025, con una tasa de crecimiento anual compuesta del 31,3% desde 2020. Además, PwC indica que la inversión total en VR llegó a los 2.200 millones de dólares en 2021 y se espera que aumente a 4.600 millones en 2025. Empresas líderes como Meta (antes conocida como Facebook), HTC y Sony siguen invirtiendo y expandiendo sus productos en el mercado de VR.

Deloitte señala que la industria dental se enfrenta a la necesidad de reducir costos, mejorar la calidad y la experiencia del usuario y desarrollar una mayor interoperabilidad entre los diferentes dispositivos de VR. Estos desafíos deberán ser abordados en el futuro cercano, lo que a su vez permitirá una mayor adopción de esta tecnología emergente. Accenture aproxima un aumento de rentabilidades en torno al 10% en las primeras aplicaciones de VR para los diferentes sectores.

oral medicine inside 58 eldentistamoderno abril 2023 UN GRUPO DE INNOVACIÓN
Por Dr. Didier Delmas y Dr. Rafael Areses

Licenciado en Odontología por la Universidad Alfonso X El Sabio. Postgrado en Implantología Oral y Prótesis sobre Implantes por el Forum Implantológico Europeo (FIE).   Postgrado en Ortodoncia por el Centro Europeo de Ortodoncia. Oclusión y Rehabilitación Oral con el Dr. Aníbal Alonso. Diploma Odontología Restauradora Estética por la Universidad de Valencia (Primera promoción).   Actualmente tiene práctica privada en Alicante.

La VR ha experimentado una serie de avances en ingeniería que han mejorado la calidad y la experiencia del usuario. Los dispositivos de VR, los visores y sistemas de seguimiento de movimiento, cada vez van siendo más ligeros, cómodos y precisos que nunca. Esto permite una mayor inmersión en entornos virtuales y resulta en una experiencia más realista.

El desarrollo de software también ha avanzado significativamente, con la creación de motores de renderizado y algoritmos de seguimiento de la atención y la mirada cada vez más precisos. Esto nos permite adaptar el contenido del entorno virtual en función de las preferencias y necesidades de cada usuario, lo que da como resultado una experiencia más personalizada.

Todo ello, incluido con la adopción de estándares abiertos y la colaboración entre empresas y desarrolladores, ha facilitado la interoperabilidad entre dispositivos de VR, lo que aumenta las posibilidades de experiencias inmersivas en una variedad de plataformas y entornos.

Todo este desarrollo técnico se despliega hacia la creación de aplicaciones y plataformas más adaptadas para la Medicina y la Odontología. Estas soluciones incluyen simulaciones realistas de procedimientos quirúrgicos, herramientas de diagnóstico y tratamiento basadas en VR y sistemas de gestión de información médica integrados con la realidad virtual. Hoy en día los estudiantes de Odontología pueden formarse y los profesionales avanzados mantenerse actualizados y mejorar sus habilidades, mediante simulaciones inmersivas y realistas que les permiten practicar procedimientos y técnicas en un entorno seguro y controlado, sin riesgos para los pacientes.

Los sistemas de diagnóstico pueden utilizar tecnología VR para planificar y visualizar procedimientos complejos, lo que resulta una mejor experiencia del paciente y deriva en tratamientos más eficientes.

Graduado por la Universidad Complutense de Madrid y especializado en diversas universidades de Estados Unidos y Europa, así como miembro de numerosas sociedades científicas; especialista en Cirugía Oral, Implantología, Cirugía Periodontal y Estética Dental; Vicepresidente Senior de Desarrollo Internacional de Inspiria y miembro del Advisory Board de la compañía; y director médico de Clínica Areses.

La VR no sólo está cambiando la forma en que se practica la Odontología, sino que también está revolucionando la educación médica en general. En Medicina, la VR permite a los estudiantes y profesionales sumergirse en entornos simulados que recrean situaciones clínicas reales. Los cirujanos pueden practicar procedimientos complejos antes de realizarlos en pacientes reales, mejorando su precisión y reduciendo los riesgos. La VR también fomenta la colaboración y la comunicación entre profesionales médicos y odontológicos. Las plataformas de realidad virtual permiten a los profesionales de la salud compartir conocimientos y experiencias en tiempo real, independientemente de su ubicación geográfica. Además, la VR puede facilitar la colaboración multidisciplinaria entre médicos, dentistas, ingenieros y desarrolladores de software para desarrollar soluciones innovadoras en el cuidado de la salud. Nada de esto debe ser incompatible con la ética y privacidad inherentes con el uso de la tecnología. Es, por tanto, esencial garantizar que los datos médicos y personales de los pacientes se almacenen y compartan de manera segura para proteger su privacidad.

III Congreso Knotgroup “Los Orígenes”

En nuestro Congreso Knotgroup, que tendrá lugar en Vigo el día 27 de mayo de este año 2023, su presidente, el Dr. Pedro Guitián, ha puesto en valor la relación entre la Odontología y la Medicina donde veremos la importancia de la salud bucodental y sus implicaciones en la salud integral de nuestros pacientes, siempre desde la innovación. Es aquí donde vamos a tener una dedicación muy especial a los últimos desarrollos en Inteligencia

Artificial y Realidad Virtual para el sector dental y el sector médico. Las conferencias, salas de de -

59 eldentistamoderno abril 2023
Dr. Didier Delmas Dr. Rafael Areses Gómez

bate y muy especialmente la experimentación práctica de todos los asistentes con sistemas de Realidad Virtual por parte de los profesionales de Knotgroup asistidos por tecnología Inspiria, serán algunas de las características determinantes de este Congreso que con esta nueva cita alcanza su tercera edición.

Los asistentes van a poder vivir de primera mano el desarrollo que presentaremos de VR. Sin duda va a ser una experiencia innovadora, una disrupción en el mundo de la Odontología Digital en cuanto a inmersión 100% en entorno virtual. Podrán sentir las ventajas de trabajar protocolos establecidos en VR donde el usuario es dueño de su espacio y de su tiempo, él decide cómo vivir cada simulación. En definitiva, podremos escoger la actividad que más nos interese y experimentarla cuantas veces queramos, con el fin de aprender nuevas técnicas en Odontología o de entrenar a nuestro equipo y poder adquirir los conocimientos mucho más rápido.

Pasamos de adquirir en modo tercera persona a ser realmente el protagonista de la formación. Todo ello nos permite consumir contenido de manera inmediata y gestionarlo a nuestro antojo sin necesidad de terceros ni de costosas infraestructuras, de tal manera que el ahorro en cuanto a tiempo y personal dedicado está garantizado. Varias empresas del sector son ya las que se han interesado en este nuevo formato de formación debido a lo atractivo y eficaz que resulta. En definitiva, se trata de un escaparate innovador que crea imagen de marca siempre unida a las ganas de evolucionar y adaptarse a nuestro tan cambiante mundo digital. Tenemos contenido inmediato, diverso y una experiencia totalmente nueva e inmersiva. La realidad virtual es una tecnología que existe de forma limitada desde hace años. El desarrollo en paralelo de inteligencias artificiales específicas y telecomunicaciones está favoreciendo en este momento su accesibilidad, transformándose en una tecnología disruptiva en el sector médico. No sólo hablamos de simulaciones, sino también de la forma de comunicarnos entre profesionales y compartir datos en tiempo real a pesar de las limitaciones geográficas. El horizonte de esta tecnología está lejos, por lo que una nueva era emerge con grandes retos y que proporcionará una ventaja tanto para los profesionales como para los pacientes, con el objetivo común de alcanzar el bienestar y la excelencia. Desde Knotgroup estamos convencidos de que la adopción de soluciones reales de Inteligencia Artificial y Realidad Virtual derivará en la práctica médica y odontológica en una mejor atención y eficiencia del diagnóstico y tratamiento de nuestros pacientes. Nosotros iniciamos este camino revolucionario y esperamos que forméis parte de él. No hay éxito sin innovación, ni progreso. En nuestro Congreso podrás evidenciarlo y formar parte de una nueva comunidad que emerge, una comunidad que nos guía hacia el éxito y que de verdad supone una experiencia única e inigualable. Os esperamos. 

inside 60 eldentistamoderno abril 2023 UN GRUPO DE INNOVACIÓN
oral medicine
En nuestro Congreso Knotgroup los asistentes van a poder vivir de primera mano el desarrollo que presentaremos de Realidad Virtual ”

pensando en el futuro

INTELIGENCIA ARTIFICIAL Y CIENCIAS DE LA SALUD: ¿CÓMO AFECTA AL DESEMPEÑO DE NUESTRA LABOR COMO SANITARIOS?

La inteligencia artificial (IA) forma ya parte de nuestro día a día como profesionales de la salud. La IA está transformando las profesiones sanitarias, incluida la odontología, en términos de diagnóstico y tratamiento, ayudando a mejorar la eficiencia y la precisión en la atención prestada. Por tanto, resulta fundamental para poder avanzar como profesionales, entender cómo funciona la IA, así como aprender a usarla y comenzar a aplicarla en tu día a día como odontólogo.

La inteligencia artificial (IA) está actualmente copando las redes sociales, periódicos, etc. Son cada vez más los avances, las noticias y las aplicaciones en que encontramos la IA en diferentes actividades de nuestra vida cotidiana. Quizás ni siquiera eres consciente de cuánto de presente está la IA en tu día a día. Por ejemplo: cuando estás viendo la tele y te sugiere otra película que pudiera ser de tu gusto basándose en

las que ya has visto, cuando tu teléfono te sugiere productos para comprar en base a los sitios web que has visitado anteriormente, cuando subes una foto a tus redes sociales en las que has empleado algún divertido filtro, cuando le pides a tu coche que te lleve a la gasolinera más cercana, cuando usas el reconocimiento facial para desbloquear tu teléfono o cuando le preguntas a Siri o Alexa el tiempo que hará el fin de semana.

62 eldentistamoderno abril 2023 ARTÍCULO DE DIVULGACIÓN
123RF

¿Y cómo son capaces la televisión o el teléfono de hacer esto? La respuesta a esta pregunta requiere comprender la esencia de la IA.

Antecedentes

Durante décadas, se ha intentado comprender la cognición humana, es decir, cómo el ser humano percibe, piensa, predice y utiliza la información. El estudio de la inteligencia artificial va más allá de la comprensión de la cognición humana, ya que busca construir entidades inteligentes capaces de realizar tareas similares a las realizadas por el ser humano. La IA se ha convertido en una de las áreas más interesantes de la informática debido a su amplio campo de aplicación. La idea principal detrás de la IA es la construcción de máquinas capaces de realizar tareas que se consideran propias de la inteligencia humana, como el almacenamiento de información, cálculo y anticipación de ciertas tareas. Las primeras investigaciones en inteligencia artificial se realizaron en el siglo XX, pero fueron sucesiones de etapas o períodos alternos de éxito y posterior abandono. Hoy en día, la IA ha logrado importantes avances y éxitos, lo que ha impulsado su consolidación como un área científica en constante evolución.

Definición

Entonces, ¿qué es la IA? Es una disciplina de la informática y la ingeniería que busca el desarrollo de sistemas, algoritmos y programas informáticos que puedan simular la inteligencia humana en diferentes áreas como el aprendizaje, la percepción, el razonamiento, la comprensión, la toma de decisiones y la acción autónoma. Para ello, la IA utiliza diferentes técnicas y metodologías, tales como el aprendizaje automático, la lógica difusa, las redes neuronales y el procesamiento del lenguaje natural, entre otras, con el objetivo de automatizar tareas que requieren de inteligencia y toma de decisiones en diferentes ámbitos.

La IA se basa en la idea de que la inteligencia humana puede ser simulada mediante la creación de sistemas que sean capaces de procesar información y aprender de manera autónoma, a través de la experiencia, la interacción con el entorno y el uso de algoritmos sofisticados. De esta forma, se busca replicar el funcionamiento de la mente humana, lo que permite a los sistemas de IA realizar tareas que antes sólo podían ser realizadas por seres humanos.

El concepto de IA se puede dividir en cuatro categorías, según los expertos Stuart Russell y Peter Norvig:

1ª categoría: sistemas que piensan como humanos y que imitan el funcionamiento del pensamiento humano mediante redes neuronales artificiales. Estos sistemas automatizan el aprendizaje, la toma de decisiones y la solución de problemas.

2ª categoría: sistemas que actúan como humanos, que imitan los movimientos que realiza un ser humano y poseen la capacidad de percibir su entorno e imitar el comportamiento humano de manera racional y eficiente. Los robots y androides son un ejemplo de sistemas que actúan como humanos.

3ª categoría: sistemas que piensan de manera razonada, imitando el pensamiento lógico-racional del ser humano.

4ª categoría: sistemas que actúan de manera razonada, que son capaces de percibir, razonar y actuar de forma de acuerdo con la conducta humana que perciben en su entorno.

Situación actual

A finales del año 2022 nació para el mundo un nuevo concepto que está en boca de todos: chatGPT 3, una herramienta de aprendizaje automático generativo que utiliza una red neuronal para crear nuevos datos a partir de otros ya existentes. El objetivo de la IA generativa es crear nuevos datos a partir de datos de entrenamiento, de manera que se puedan utilizar para procesamiento de imágenes, creación de música o generación de textos, entre otras posibilidades.

GPT (Generative Pre-trained Transformer) fue desarrollado por OpenAI® y se viene utilizando para generar textos e imágenes de alta calidad, así como para la traducción automática o la conversación entre máquinas y humanos.

A partir del desarrollo del GPT, aparece chatGPT®, una tecnología revolucionaría de chat basado en tecnología machine-learning que te permite conversar con la máquina y que esta te proporcione respuestas similares a como lo haría un humano. Las posibilidades que ofrece esta herramienta son infinitas: es una herramienta de procesamiento de lenguaje natural puede generar respuestas a partir de texto o voz, similar a como lo haría un ser humano. Este modelo de lenguaje es capaz de entender y generar texto en varios idiomas, es capaz de realizar tareas complejas como responder pregun-

siguiendo la evolución de la Odontología 63 eldentistamoderno abril 2023
Ana Boquete Castro Odontóloga. Doctor cum laude. Máster en Medicina Dental del Sueño. Máster en Gestión y Planificación Sanitaria. Directora Científica de Mindbreak®. Karla Daniela Mora Barrios Odontóloga. Máster en Ingeniería y ciencia de los materiales. Experta en regulaciones de Medical Devices. Especialidad de Inteligencia Artificial y Algoritmos, Especialidad en Inteligencia Artificial aplicada a la empresa, Especialista en Inteligencia Generativa. CEO de Mindbreak®

pensando en el futuro

tas, redactar textos en diferentes estilos, completar oraciones, crear vídeos a partir de textos y mucho más. Ha ido evolucionando, de manera que en marzo de 2023 se lanzó la versión ChatGPT4, considerada la red neuronal más grande jamás creada. ¿Qué significa esto y qué repercusiones tiene en nuestro trabajo?.

ChatGPT4 no solo puede interactuar con texto, sino que también puede aceptar inputs de imagen y presenta una capacidad de comprensión y generación de lenguaje cercana a la de los seres humanos. Es útil en una variedad de campos y aplicaciones, incluyendo la atención al cliente, la generación de contenido, la educación, la investigación o el análisis de datos.

La expansión y conocimiento a nivel mundial de chatGPT abrió el debate de qué tanto nos pueden facilitar nuestras funciones en el trabajo, e incluso si pudiera la IA llegar a reemplazarnos en algunos oficios.

GPT es un sistema que ha sido entrenado para mantener conversaciones con cualquier persona y en cualquier idioma. Sus algoritmos analizan las palabras que escribes, entienden su orden, su sentido y son capaces de interpretarlas para darte la respuesta que precisas.

En las labores cotidianas del mundo laboral, la IA puede ser de gran ayuda: se puede programar la publicación de contenido en redes sociales o el envío de correos electrónicos. También se puede crear el código de una página web a partir de un dibujo o boceto de ésta. Permite hacer presentaciones, crear juegos, definir conceptos, etc.

Controversia sobre el uso de IA

La proliferación del conocimiento en la rama de la IA está teniendo un gran impacto en la sociedad actual. Investigadores y desarrolladores han encontrado beneficios en el uso de la IA, lo que ha llevado a la creación de aplicaciones y sitios web que nos permiten interactuar con esta tecnología. La IA permite generar contenidos de todo tipo. Lo mismo podemos generar un texto informal que describa el día que hace, que podemos pedir a la IA que redacte un ensayo poético o, más aún, un documento con evidencia científica sobre algún tema de interés profesional.

Esto ha dado lugar a que la IA esté creando debates a nivel social, ya que, especialmente a nivel educativo, surge la dicotomía si es positivo o negativo su uso. ¿Usar la IA para que nuestros hijos hagan un trabajo de clase es beneficioso? ¿Puede la IA crear un artículo científico de calidad? ¿Es capaz la IA de escribir un libro que se convierta en un best-seller? ¿Significa el uso de la IA que nosotros pasaremos a ser prescindibles? ¿Puede la IA sustituir nuestra labor?

A grandes rasgos, es evidente que la IA “facilita” nuestro día a día. Permite convertir un texto en una nota de voz o, a la inversa, transcribe un diálogo y lo convierte en un texto escrito, asiste la redacción de tus documentos sugiriéndote palabras en base al contexto que estás empleando, te ayuda a crear presentaciones sobre cualquier temática, traduce tus textos o hace resúmenes de tus reuniones, entre otras funciones. Pero como sucede siempre con los grandes avances de la ciencia, es importante conocerlo a fondo para poder darle el uso adecuado.

64 eldentistamoderno abril 2023 ARTÍCULO DE DIVULGACIÓN
Ejemplos de diferentes imágenes creadas por IA con las palabras “dentist talking with a child that wears a red cap”.

La IA permite ahorrar mucho tiempo, nos ayuda en muchas tareas de búsqueda de información, generación de cálculos, etc., pero siempre deberemos añadir nuestra supervisión y toque personal; de lo contrario, solo tendremos un producto automatizado e impersonal.

IA en Ciencias de la Salud

Cuando abordamos el uso de la IA como profesionales de la salud cabe preguntarnos ¿qué valor tiene? Quizá aún no te has dado cuenta que la IA ya invade el sector de la salud: existen aplicaciones basadas en IA que analizan los patrones de sueño de un individuo y hacen una estimación del riesgo que tiene dicho individuo de padecer algún trastorno del dormir; en el ámbito de la enfermería existen aplicaciones que monitorean a los pacientes de manera remota y permiten predecir y detectar cualquier cambio en su salud, agilizando su asistencia sanitaria y resultando claves en la prevención y agravamiento de sus patologías; a nivel administrativo, existen diversas aplicaciones de IA diseñadas para gestionar la documentación clínica, reduciendo la carga de trabajo de los profesionales por un lado, y analizando y mostrándonos tendencias en salud por el otro.

Todas estas herramientas suponen una gran ayuda para el profesional sanitario: recortan tiempos de trabajo, ayudan a la toma de decisiones clínicas, monitorean de manera periódica al paciente detectando cualquier cambio en sus valores vitales y un largo etcétera.

¿Y qué sucede con la IA en odontología? A nivel del sector dental, como no podía ser de otra manera, el desarrollo de la IA está ya tan avanzado como en otras profesiones: las herramientas de diseño de sonrisa, los programas de planificación que permiten visualizar cuál será el resultado que tendrá el tratamiento dental previsto o los escáneres intraorales que utilizamos en sustitución del ya anticuado alginato, son herramientas de IA que facilitan nuestro ejercicio profesional diario en el gabinete dental.

Además, para los odontólogos la IA resulta de gran utilidad, ya que permite que tengamos una mejor y más completa comunicación con el paciente, que este entienda mejor su patología y tratamiento que se le va a realizar o que sea más consciente de los resultados que se obtendrán.

En este sentido, la IA puede ser utilizada para educar a los pacientes sobre temas de odontología y responder preguntas comunes sobre procedimientos y cuidados dentales. También puede ser utilizado para desarrollar chatbots de atención al paciente que pueden proporcionar información básica y responder preguntas frecuentes, lo que puede liberar la carga de trabajo del personal sanitario. Así, la IA nos ayuda a planificar y ejecutar tratamientos más precisos y personalizados para cada paciente, lo que conduce a mejores resultados en términos de salud bucal. Otro beneficio importante de la IA es ayudar a evitar errores en la interpretación de imágenes radiográficas, lo que puede llevar a una detección más temprana y precisa de patologías y a una reducción en el riesgo de complicaciones en el tratamiento.

siguiendo la evolución de la Odontología 65 eldentistamoderno abril 2023
Simulación virtual generada por IA del resultado que puede conseguirse con un tratamiento de ortodoncia.

pensando en el futuro

Sin embargo, también hay algunas preocupaciones en relación con el uso de la IA. Una preocupación es que la IA podría llevar a la pérdida de empleo para algunos profesionales de la salud, ya que algunas tareas pueden ser automatizadas por la IA. Además, existe la preocupación de que la IA pueda ser utilizada de manera inapropiada o no ética en la atención dental.

De todo lo expuesto cabe concluir que la IA es una realidad de nuestro presente y que es ya imprescindible en el desarrollo de cualquier profesión sanitaria, y es fundamental para poder avanzar como profesionales, entender cómo funciona la IA así como aprender a usarla.

Las Ciencias de la Salud en general pero especialmente la Odontología, es una profesión en que los avances se suceden a una velocidad vertiginosa. Apenas empezamos a dominar el uso de un nuevo producto, cuando ya ha salido su secuela más perfeccionada si cabe.

Es por eso que, si aún no sabes lo que es chatGPT®, si aún no has conversado con chatGPT®, si aún no has probado a crear tus propios vídeos o imágenes con la ayuda de la IA, si no sabes que la IA puede ayudarte con tus documentos Excel®, entonces, estás anclado en el pasado.

La IA está transformando las profesiones sanitarias, incluida la odontología, en términos de diagnóstico y tratamiento, y está ayudando a mejorar la eficiencia y la precisión en la atención prestada. Sin embargo, es importante abordar y mitigar las preocupaciones relacionadas con su uso para garantizar que se utilice de manera responsable y beneficiosa para los pacientes y los profesionales de la salud. Es el momento de aprender sobre IA y comenzar a aplicarla en tu día a día como odontólogo. 

Referencias

66 eldentistamoderno abril 2023 ARTÍCULO DE DIVULGACIÓN
1. Mintz Y, Brodie R. Introduction to artificial intelligence in medicine. Minim Invasive Ther Allied Technol. 2019 Apr;28(2):73-81. doi: 10.1080/13645706.2019.1575882. 2. Kaul V, Enslin S, Gross SA. History of artificial intelligence in medicine. Gastrointest Endosc. 2020 Oct;92(4):807-812. doi: 10.1016/j.gie.2020.06.040. 3. Kulkarni S, Seneviratne N, Baig MS, Khan AHA. Artificial Intelligence in Medicine: Where Are We Now? Acad Radiol. 2020 Jan;27(1):62-70. doi: 10.1016/j.acra.2019.10.001. 4. Shan T, Tay FR, Gu L. Application of Artificial Intelligence in Dentistry. J Dent Res. 2021 Mar;100(3):232-244. doi: 10.1177/0022034520969115. La IA forma ya parte de nuestro día a día como profesionales de la salud.

YA DISPONIBLE EXPADENT APP

Hemos mejorado nuestro sistema de gestión, y ahora cualquiera de nuestros clientes podrán realizar los pedidos directamente desde nuestra aplicación, intuitivamente.

También permite hacer un seguimiento total del proceso de fabricación y de envío del pedido realizado.

siguiendo la evolución de la Odontología 67 eldentistamoderno abril 2023 ENVÍANOS TUS IMPRESIONES DIGITALES: LÍDERES EN LA ELABORACIÓN DE PRÓTESIS DENTALES Corona de zirconio 59,90 € 49,90 € Antes Ahora  +34 910 059 139  info@expadent.com www.expadent.com *Las fotografías de este anuncio corresponden a trabajos realizados en nuestro laboratorio
AHORA QUE TODO
BAJAMOS
SUBE, NOSOTROS
PRECIOS

JOSÉ MANUEL MIÑONES,

NUEVO MINISTRO DE SANIDAD

JoséManuel Miñones, hasta ahora delegado de Gobierno en la Comunidad Autónoma de Galicia, ha tomado posesión como nuevo ministro de Sanidad, tomando el relevo en la cartera sanitaria de Carolina Darias.

Nacido en Santiago de Compostela en 1972, Miñones ha sido miembro de la Comisión de mobilidad y accesibilidad de la Federación Española de Municipios (FEMP). Y, en el ámbito político, fue concejal en el Ayuntamiento de Ames en A Coruña y alcalde del mismo desde 2015 hasta marzo de 2021, cuando fue nombrado delegado de Gobierno en Galicia.

Miñones es licenciado en Farmacia por la Universidade de Santiago de Compostela (USC); allí obtuvo el doctorado en la misma especialidad con Premio extraordinario. Ha sido investigador del programa autonómico ‘Parga Pondal’ de 2005 a 2011 y profesor contratado en el Departamento de Química y Física con docencia en la Facultad de Farmacia de la USC. 

MIGUEL Á. GONZÁLEZ MOLES ASESORARÁ A LA OMS

EN EL DISEÑO DE LA COBERTURA SANITARIA UNIVERSAL

Elprofesor Miguel Ángel González Moles, catedrático del departamento de Estomatología de la UGR, ha sido invitado por la Organización Mundial de la Salud (OMS) para formar parte del grupo de expertos internacional que debate el paquete de servicios de atención bucodental que se incluirá en el compendio de cobertura sanitaria universal de la OMS (Universal Health Coverage Compendium –UHCC-). De este trabajo saldrá una guía de ayuda a los países para avanzar hacia una cobertura sanitaria universal esencial en salud oral.

El UHCC, cuyo horizonte se establece en 2030, recoge la gama de servicios sanitarios bucodentales a los que todas las personas deberían tener acceso, en el momento y lugar en el que los precisen, sin restricciones geográficas ni asociadas a las dificultades económicas. En ese sentido, el programa de salud bucodental de la OMS está trabajando con el equipo de expertos para desarrollar y perfeccionar los aspectos relativos a la prestación de servicios en salud bucodental, centrándose en las intervenciones clínicas que deberían considerarse como atención bucodental imprescindible.

El objetivo es establecer una lista de intervenciones basadas en la evidencia para informar a los gobiernos sobre un paquete mínimo de prestaciones en salud, que persigue mejorar la salud bucodental mediante comportamientos saludables, prevención de enfermedades bucodentales, screening para la detección precoz de enfermedades, la cu-

ración o la reducción de la gravedad y duración de las enfermedades ya establecidas, y el restablecimiento de las funciones perdidas a causa de la enfermedad. El grupo está integrado por 20 expertos clínicos, investigadores y epidemiólogos pertenecientes a las seis regiones que agrupan a los estados miembros de la OMS: África, América, Sudeste Asiático, Europa, Mediterráneo Oriental y Pacífico Occidental.

El profesor Miguel Ángel González Moles es catedrático de Medicina Oral de la Universidad de Granada, donde desarrolla su labor docente e investigadora. Es responsable del grupo de investigación del Plan Andaluz de Investigación CTS392. Sus líneas de estudio esenciales se centran en el análisis de los aspectos clínicos, pronósticos y patogénicos del cáncer oral, así como del riesgo de malignización de lesiones premalignas de cavidad oral, especialmente en lo que respecta al liquen plano oral.

González Moles pertenece también a un grupo de expertos dependiente del centro colaborativo de la OMS, ubicado en el King’s College de Londres, cuya misión es el avance en el conocimiento del cáncer oral. Hasta el momento actual ha publicado más de 150 trabajos de investigación internacionales, habiendo recibido 21 premios de investigación.

El profesor Miguel Ángel González Moles, con un índice H de 48 y más de 7.600 citaciones internacionales, ha sido incluido entre el 2% de los científicos más influyentes del mundo según el ranking publicado por la Universidad de Stanford. 

actualidad NOTICIAS 68 eldentistamoderno abril 2023
69 eldentistamoderno abril 2023 + 23 CONGRESO Sevilla 31 Mayo - 3 Junio 2023 www.sepa2023.es El congreso de la Periodoncia y la Salud Bucal.

EL CONSEJO GENERAL DE DENTISTAS ACONSEJA BUSCAR

ASESORAMIENTO JURÍDICO TRAS EL CIERRE DE SMYDENT

ElConsejo General de Dentistas de España quiere lanzar una serie de consejos para pacientes ante un nuevo cierre de una cadena de clínicas dentales. En este caso se trata de Smydent, con centros en Alcorcón, Leganés, San Blas, Vallecas, Torrejón y Badalona. Se da la circunstancia de que uno de los propietarios -y fundador de la empresa- no es dentista y ha tenido relación profesional en el pasado con otras cadenas y franquicias del sector odontológico, según indica el propio interesado en su perfil de LinkedIn.

Para evitar este tipo de escándalos sanitarios, el Consejo General de Dentistas lleva años reivindicando la modificación de la Ley 2/2007, de Sociedades Profesionales. Ésta contempla medidas para asegurar que el control empresarial queda en manos de profesionales colegiados y que los Colegios Profesionales puedan establecer el control deontológico a aquellas compañías que lleven a cabo actividades para las que se requiere la colegiación obligatoria, al igual que sucede con los dentistas autónomos. Asimismo, el Consejo General de Dentistas hace un llamamiento para que también tomen parte en este asunto las autoridades competentes, quienes deberían adoptar las medidas necesarias para evitar que la salud se convierta en una burbuja similar a la inmobiliaria.

Qué deben hacer los pacientes afectados por el cierre

Es recomendable que las personas damnificadas por el cierre de Smydent tomen las siguientes precauciones:

• Contactar con los departamentos autonómicos competentes en materia de sanidad y consumo y con las asociaciones de consumidores y usuarios de su demarcación territorial, donde les informarán sobre sus derechos y

sobre las acciones legales que deben emprender, incluyendo la posibilidad de paralizar el pago por los tratamientos financiados y no finalizados.

• Conservar toda la documentación que pudieran tener (folletos publicitarios, presupuestos, contratos de crédito, resguardos de citas, historial, pruebas diagnósticas, etc.).

• Solicitar una copia de sus historias clínicas.

• Buscar asesoramiento jurídico para el caso de que se considere que ha existido mala praxis.

Por último, el Consejo General de Dentistas de España muestra todo su apoyo a las personas afectadas por el cierre de esta cadena de clínicas dentales y solicita tanto al Ministerio como a las Consejerías de Sanidad que se adopten las medidas pertinentes para evitar que se vuelvan a producir escándalos de este tipo. Del mismo modo, muestra su disposición a colaborar con las autoridades para velar por una Odontología ética y de calidad al servicio de los ciudadanos. 

LA JUSTICIA FRANCESA PROHÍBE LA PUBLICIDAD DE LAS CLÍNICAS DENTALES

ElTribunal Supremo francés ha dado la razón a los Cirujanos Dentistas de Francia (CDF) y ha ordenado la prohibición de cualquier publicidad por y para las clínicas dentales. Después de 12 años trabajando para que esta decisión judicial fuera una realidad, los CDF han conseguido vencer al mercantilismo promovido y practicado por los centros sanitarios de bajo coste.

El Consejo General de Dentistas de España valora muy positivamente esta decisión judicial y lamenta que en nuestro país todavía no exista una Ley de Publicidad Sanitaria, algo que reclama desde hace mucho tiempo. “Llevamos años pidiendo que se establezca una normativa estatal sobre publicidad sanitaria que ponga freno a las agresivas campañas publicitarias de determinadas compañías, pues a través de sus mensajes solo confunden al ciudadano, creándole falsas expectativas y ofreciéndole supuestos beneficios en la financiación de los tratamientos que

resultan no ser ciertos, tal y como sucedió con iDental o Dentix”, declara el Dr. Óscar Castro Reino, presidente de la Organización Colegial.

En abril, el Congreso de los Diputados rechazó la tramitación de la PL sobre Publicidad Sanitaria presentada por el Partido Popular, básicamente, por intereses partidistas. “El Senado la había aprobado por unanimidad y cuando llegó a la Cámara Baja, PSOE y Unidas Podemos, entre otros, votaron en contra sin permitir ni siquiera su tramitación. Se trata de un asunto muy serio, pues con esta ley solo se pretende proteger a la población y, por tanto, debería primar el interés general por encima del interés partidista”, añade Castro. Por último, señala que “este hito conseguido por los CDF es un aliciente para nosotros y nos anima a seguir trabajando para conseguir una Ley de Publicidad Sanitaria que vele por una Odontología ética y de calidad al servicio del ciudadano”. 

actualidad NOTICIAS 70 eldentistamoderno abril 2023
Pexels

LA COLABORACIÓN INTERDISCIPLINAR, INCLUYENDO A LOS PROFESIONALES

ODONTOLÓGICOS Y DE FARMACIA, CLAVE EN LA CESACIÓN TABÁQUICA

Lacolaboración de algunos de los profesionales sanitarios más directamente implicados en la prevención y el abordaje del tabaquismo, atendiendo necesidades y sugerencias de los pacientes, es fundamental para conseguir reducir el impacto de este problema de salud. Así se ha puesto de relieve en la II Jornada de Salud Bucal y Cesación Tabáquica, promovida por la Sociedad Española de Periodoncia (SEPA) y celebrada en la Casa de las Encías (Madrid).

El encuentro, que ha contado con el respaldo de Johnson&Johnson, ha reunido a expertos de diferentes sociedades científicas odontológicas y farmacéuticas, instituciones sanitarias, así como de asociaciones de pacientes. Este carácter interdisciplinar ha servido para avanzar en el debate de ideas, compartir reflexiones y experiencias, y consensuar una serie de consejos prácticos, con el foco puesto principalmente en el papel que puede desempeñar en este ámbito la consulta dental, al poner en valor su papel “como centro de promoción de la salud y prevención de la enfermedad periodontal y sistémica”, en palabras de la

Dra. Regina Izquierdo, coordinadora del Grupo de Trabajo SEPA-Comité Nacional para la Prevención del Tabaquismo (CNPT).

En este contexto, destaca la iniciativa Promosalud de SEPA en el que se incluyen también los consejos necesarios que pueden aportarse desde la consulta dental para controlar factores de riesgo implicados, como es el tabaco. Próximamente se presentará el portal www.quierodejardefumar.es, auspiciado por SEPA. Para la Dra. Izquierdo, “no cabe duda del potencial que tiene la consulta dental para promover hábitos de vida saludables”; según añade, “tenemos una posición de privilegio para facilitar la cesación desde un enfoque individual y positivo, para convencer al paciente que no inicie este hábito o que, en caso de ser fumador, lo abandone, siento ésta la decisión más saludable que puede tomar en su vida”. Entre otros mensajes, en este foro se ha recalcado que “fumar es una enfermedad y lo normal es no fumar”, según ha destacado Francisco Rodríguez Lozano, del Comité Nacional para la Prevención del Tabaquismo.

IVOLCAR CELEBRA SU CENTENARIO BAJO EL LEMA “UN SIGLO DE INNOVACIÓN”

El Grupo Ivoclar celebra este 2023 su centenario bajo el lema “Un siglo de innovación”. Desde hace 100 años, Ivoclar es una empresa familiar con alma y corazón: la fiabilidad, la transparencia y la comunicación a la altura de los ojos son la base de una buena colaboración, ya sea con los clientes, los empleados o los pacientes, a los que se considera parte de la familia Ivoclar. “Gracias por vuestra confianza y por esta sólida colaboración”, apunta Diego Gabathuler, CEO de Grupo Ivoclar.

Aprovechando su presencia en la última edición de la IDS 2023, la empresa celebró este hito al mismo tiempo que presentaba su última innovación, PrograScan® PS7, y adelantaba más novedades futuras. En un acto con los medios de comunicación en el que participaron los directivos de la empresa, Ivoclar compartió un vídeo en el que se documentaban los primeros 100 años de la empresa, desde que en 1923 empezara a fabricar dientes para dentaduras postizas, cuando era conocida como Ramco AG, hasta la actualidad, cuando la compañía está posicionada como uno de los líderes mundiales en materiales y tecnología dentales. Su CEO habló durante el evento de la historia de innovación de la empresa y de su futuro, centrado en soluciones integradas y en una experiencia óptima para el cliente. “Nuestro trabajo se hace en la boca, pero la magia se siente a través del alma y se ve a través de los ojos”, afirmó Gabathuler mostrando cómo la transformación de una sonrisa ilumina todo el rostro de un paciente.

El Grupo Ivoclar, que vende sus productos en unos 130 países, cuenta con 47 filiales y sucursales y emplea a unas 3.500 personas en todo el mundo. Su éxito se basa en una amplia cartera de productos, sistemas y servicios, una sólida capacidad de investigación y desarrollo y un claro compromiso con la formación y el perfeccionamiento profesional. 

71 eldentistamoderno abril 2023
GRUPO

LA COMUNIDAD DE MADRID INVIERTE MÁS DE 2 MILLONES DE EUROS

PARA TRATAMIENTOS DENTALES GRATUITOS A MENORES DE 7 A 16 AÑOS

La Comunidad de Madrid ha suscrito con el Colegio de Odontólogos y Estomatólogos de la I Región (COEM) el séptimo convenio de colaboración en materia de salud bucodental para la gestión y financiación gratuita de tratamientos dentales especiales que precisen los menores de 7 a 16 años. En virtud de este acuerdo, el Gobierno regional invierte 2.250.000 euros este año para cubrir estas prestaciones. El programa contempla la atención sanitaria gratuita en materia de salud bucodental en endodoncias, reimplantes o la colocación de mantenedores de espacio, y grandes reconstrucciones u obturaciones necesarias bien sobre endodoncias previamente realizadas o sobre pérdida de tejido debido a traumatismos dentales. En esta ocasión se añade además la cobertura de las coronas dentales. No se limita el número ni tipo de tratamientos por niño siempre que esté reflejado en las prestaciones contempladas. Los niños con diversidad funcional física o psíquica reconocida oficialmente que, a causa de dicha diversidad, necesiten sedación para poder recibir los tratamientos incluidos en este convenio, serán atendidos en el Hospital público Infantil Universitario Niño Jesús.

En virtud de este acuerdo, el Gobierno regional invierte 2.250.000 euros este año para cubrir estas prestaciones. FOTO: Comunidad de Madrid

Desde la puesta en marcha hace siete años de estos acuerdos de colaboración y en el seno del Programa de Atención Dental Infantil (PADI), la Comunidad de Madrid ha invertido 8.682.999 euros en las ayudas a las familias, y hasta la fecha se ha atendido a un total de 62.782 niños, de los que 44.211 han recibido los tratamientos dentales específicos que precisaban. De media, ha supuesto para cada familia un ahorro de 196,40 euros.

Para acceder a estas prestaciones, el menor debe acudir a la Unidad de Salud Bucodental de su centro de salud que, tras la valoración del profesional, deriva al odontólogo colegiado que libremente escoge el usuario de los 920 adheridos al convenio. El listado está disponible en las propias consultas de la Unidad.

A esta actuación se suma próximamente la cobertura gratuita para nuevas prestaciones de salud bucodental a mayores de 80 años, que contemplará la colocación de prótesis y tratamiento de caries, y que igualmente se materializará mediante un convenio que se firmará con el COEM. Para ello se prevé una inversión de 20 millones de euros anuales. 

PERIODONCISTAS Y MÉDICOS DE FAMILIA DEBEN COLABORAR

PARA TRATAR LA SALUD GENERAL DE SUS PACIENTES

Laestrecha colaboración entre médicos de familia y periodoncistas y otros profesionales de la salud bucodental es necesaria para una prevención eficaz, la detección precoz y el tratamiento de enfermedades sistémicas generalizadas, que afectan a millones de pacientes en todo el mundo. Ésta es una de las principales conclusiones del nuevo documento científico titulado “Association between periodontal diseases and cardiovascular diseases, diabetes and respiratory diseases: consensus report of the joint workshop by the EFP and WONCA Europe”, que acaba de publicarse en el Journal of Clinical Periodontology

Este informe de consenso, redactado por 18 destacados expertos mundiales en periodoncia y medicina de familia, actualiza y mejora las pruebas científicas de que las enfermedades de las encías, en particular la periodontitis o inflamación crónica de las encías, se asocian de forma independiente con enfermedades cardiovasculares, diabetes mellitus y enfermedades respiratorias, como la enfermedad pulmonar obstructiva crónica, la apnea del sueño o las complicaciones de Covid-19.

El documento se basa en los informes científicos de talleres anteriores organizados por la EFP con la Federación Internacional de Diabetes sobre los vínculos entre la enfermedad de las encías y la diabetes en 2017, y con la Federación Mundial del Corazón sobre las asociaciones entre la enfermedad de las encías y la enfermedad cardiovascular (ECV) en 2019. “Ambos informes sugirieron que los médicos de familia tienen un papel fundamental en las implicaciones de las asociaciones entre afecciones, ya que, después de todo, tratan a la mayoría de los pacientes con diabetes o ECV”, resume David Herrera, autor principal del artículo, presidente del Comité de Talleres de la EFP y presidente de este taller.

“Nuestro trabajo presenta una actualización crítica de la evidencia que apoya las asociaciones entre periodontitis y enfermedades sistémicas muy importantes, pero nuestro principal objetivo era entender la interpretación de esta información por los médicos de familia, y las implicaciones derivadas, desarrolladas para mejorar la gestión de la salud de nuestros pacientes”, explica el profesor Herrera. 

actualidad NOTICIAS 72 eldentistamoderno abril 2023

ALREDEDOR DE 120.000 PROFESIONALES DE MÁS DE 160 PAÍSES VISITARON LA IDS 2023

La feria International Dental Show (IDS 2023), celebrada entre los días 14 y 18 de marzo, ha celebrado su 100 aniversario con una destacada participación tanto a nivel expositores como visitantes. Según la organización del encuentro, alrededor de 120.000 visitantes profesionales de 162 países asistieron a Colonia (Alemania) para conocer lo último en productos dentales médicos y tecnología dental presentados por 1.788 empresas expositoras de 60 países.

“La IDS 2023 fue convincente en todo momento y al mismo tiempo demostró que continúa reinventándose y desarrollándose incluso después de 100 años. La dinámica, la innovación y el poder que emanan de IDS son impresionantes. IDS ha confirmado una vez más que es un feria líder mundial. La calidad de los visitantes fue, y lo digo no solo como presidente de la VDDI, sino también como expositor de la IDS, sensacional. Junto con Koelnmesse, con energía, ambición, creatividad y visiones lideraremos con éxito la IDS en el segundo siglo de la historia del evento. El reclamo de este año, ‘100 años de IDS: dando forma al futuro dental’ representa el sinónimo de la importancia sobresaliente de la feria hoy y en el futuro “, apunta Mark Stephen Pace, presidente de la Asociación de la Industria Dental Alemana (VDDI).

Por su parte, Oliver Frese, director de operaciones de Koelnmesse, añade que “durante cinco días, experimentamos una IDS que estuvo más que a la altura de su reclamo como un centro internacional líder. Esto le da a la industria dental global el impulso necesario para los próximos meses y en el futuro”. al mismo tiempo subraya la atracción mundial de la IDS, destacando que “el resultado del evento es aún más notable dado el desafiante entorno geopolítico actual”.

La IDS convenció una vez más con su alto nivel de internacionalidad y calidad de los visitantes. El 60% de los visitantes profesionales procedían del extranjero. Como en ediciones anteriores, destaca la asistencia de profesionales procedentes de países de la UE como Italia,

Francia, los Países Bajos y España, pero también de Bélgica, Rumanía y Grecia fue alta. Se registró una alta proporción de visitantes de Asia, América del Sur, EE. UU. y Canadá nuevamente.

La calidad de los visitantes está respaldada por los primeros resultados de una encuesta de visitantes, según la cual alrededor del 80% de los visitantes profesionales nacionales y extranjeros están involucrados en las decisiones de compra y adquisición de su empresa. La valoración de los visitantes de IDS 2023 fue igualmente positiva: más del 80% se mostró muy satisfecho con el evento, el 83 % elogió la visión general completa de la oferta y casi el 90% recomendaría IDS a sus socios comerciales. Además, el 84% de los encuestados estaba satisfecho con la plataforma digital IDSconnect y las ofertas adicionales asociadas.

Tendencias: flujo de trabajo digital y sostenibilidad

Dos tendencias fueron claramente reconocibles en la 40ª edición de la IDS: el flujo de trabajo digital estricto y la mejora de la sostenibilidad. Por ejemplo, los rayos X digitales que se pueden girar en la dirección correcta utilizando inteligencia artificial, por lo que el escáner de placa de imagen utilizado se produce de forma neutra en CO2. Además, el flujo de trabajo digital en el laboratorio es cada vez más eficaz. Por ejemplo, ahora se pueden escanear dos modelos a la vez en el escáner extraoral.

Sin embargo, el hecho es que, debido a los obstáculos burocráticos provocados por la Regulación de dispositivos médicos (MDR), las empresas se ven obligadas a implementar muchos recursos internos para el procedimiento de aprobación (personal, costos, tiempo). Si implementaran estos recursos inmovilizados en los departamentos de investigación y desarrollo, las empresas de la industria dental podrían presentar aún más innovaciones.

La próxima edición de la IDS tendrá lugar del 25 al 29 de marzo de 2025. 

actualidad EVENTOS, SOCIEDADES Y EMPRESAS 74 eldentistamoderno abril 2023

SEGGO CELEBRA UN WORKSHOP PARA CONOCER LAS NOVEDADES EN GESTIÓN ODONTOLÓGICA

La Sociedad Española de Gerencia y Gestión Odontológica (SEGGO) organizó el 24 de marzo un workshop online con motivo de su reunión anual en el que se citaron cerca de un centenar profesionales para conocer las últimas novedades en el campo de la gestión en odontología. El Dr. Primitivo Roig, presidente de la Sociedad, destaca la “importancia de la gestión eficiente en las clínicas dentales para garantizar una excelente experiencia de los pacientes”. Durante el workshop se presentaron diversas ponencias por parte de destacados especialistas en el sector dental. La Dra. Patricia Zubeldia Masset impartió la charla “Claves para una Excelente Experiencia de tu Paciente”, en la que compartió su experiencia sobre cómo mejorar la atención y satisfacción del paciente en la clínica dental.

El Dr. Víctor Díaz-Flores García ofreció una ponencia sobre “Autónomos en la Clínica Dental: Novedades Judiciales”, en la que abordó los últimos cambios legislativos en materia laboral y fiscal que afectan a los autónomos del sector dental. Por su parte, la Dra. Elena Labajo González presentó la charla “De la Seguridad del Paciente a la Gestión”, en la que destacó la importancia de la seguridad del paciente y la gestión adecuada de los procesos en la clínica dental. Finalmente, el Dr. Rafael Areses Gómez compartió su experiencia con la charla “La Estrategia en la Clínica es Cosa de Todos”, destacando la importancia

de la colaboración y el trabajo en equipo para mejorar la gestión y la eficiencia en la clínica dental.

El Dr. Diego Stancampiano fue el moderador en el evento, dirigiendo las preguntas y clausurando el evento con su visión del momento actual del sector dental.

Desde la Sociedad Española de Gerencia y Gestión Odontológica agradecen “la respuesta tan positiva” de los asistentes y esperan “seguir impulsando iniciativas que fomenten la excelencia en la gestión y la atención al paciente en el sector dental”. 

SECIB PUBLICA LA GUÍA DE PRÁCTICA CLÍNICA PARA LA ATENCIÓN

ODONTOLÓGICA AL PACIENTE CON CÁNCER ORAL

La Sociedad Española de Cirugía Bucal (SECIB) ha presentado la Guía de Práctica Clínica (GPC) Atención odontológica al paciente con cáncer oral, un trabajo que ya forma parte del catálogo de GPC del Sistema Nacional de Salud y que ofrece un conjunto sistematizado de recomendaciones -basadas en la mejor evidencia científica disponible- orientadas a facilitar la toma de decisiones clínicas. Se trata de la primera vez que un documento de este tipo aborda el cáncer oral desde la perspectiva terapéutica del odontólogo y el cirujano bucal.

El trabajo presenta niveles de máxima evidencia en relación a la prevención y manejo de mucositis y xerostomía en tratamientos radio y quimioterápicos

La guía Atención odontológica al paciente con cáncer oral -dirigida por el Dr. José Luis Gutiérrez Pérez, ex presidente de SECIB, catedrático de la Universidad de Sevilla y jefe del Servicio de Cirugía Oral y Maxilofacial del Hospital Virgen del Rocío- alcanza niveles

de máxima evidencia científica en relación a la prevención y el manejo clínico de la mucositis y la xerostomía en pacientes sometidos a radioterapia o a quimioterapia y radioterapia simultáneamente. Otra aportación importante del trabajo afecta a las indicaciones y plazos para la rehabilitación protésica e implantológica de los pacientes oncológicos orales adultos. “Se ofrecen un total de 10 recomendaciones que, en su conjunto, configuran unas vías clínicas actualizadas y seguras para la práctica odontológica en estos pacientes, con especial referencia a las periimplantitis y a las osteonecrosis de los maxilares”, expone el Dr. Gutiérrez.

En este sentido, “esta guía, como todas las que SECIB ha patrocinado, constituye un arma muy valiosa para disminuir la variabilidad clínica, lo que supone incrementar la seguridad de nuestros pacientes y practicar una asistencia sanitaria de mayor calidad”, asegura el director de la GPC. 

75 eldentistamoderno abril 2023

ALREDEDOR DE 400 PROFESIONALES DE LA ODONTOLOGÍA PARTICIPAN EN EL VI CONGRESO DENTAL ARAGONÉS

El doctor Paulo Mesquita ha ofrecido una conferencia sobre el “Abordaje para solucionar recesiones, implantes en mala posición y enfermedades periimplantarias” con ejemplos prácticos de diferentes casos en el VI Congreso Dental Aragonés, organizado por la Fundación Dental Aragonesa y con la colaboración del Ilustre Colegio de Odontólogos y Estomatólogos de Aragón. Para el doctor Mesquita, “las complicaciones que se generan en el tejido blando alrededor de los implantes son cada vez más frecuentes y son temas que empiezan a ser habituales en las clínicas”, por lo que “es importante colaborar con la ciencia y compartir conocimiento”, ha añadido Paulo Mesquita. En torno a 400 profesionales de la odontología han participado en el VI Congreso Dental Aragonés, unas jornadas muy prácticas en las que, como explica el presidente del Comité Organizador del congreso, el doctor Luis Rasal, “hemos seleccionado un temario que fuera útil para los asistentes, para que los profesionales puedan poner en práctica todo lo aprendido desde el primer momento”.

De esta manera, además de las ponencias del doctor Paulo Mesquita y

del doctor Jacobo Somoza sobre las “Ventajas del Flujo Digital”, dirigidas tanto a dentistas como a técnicos de laboratorio, ha tenido lugar otro itinerario dirigido a personal auxiliar, en el que el doctor Daniel Aragón ha ofrecido una serie de ítems y de clase teórica sobre cómo hacer fotografías dentales con las que obtener toda la información necesaria para poder realizar un correcto diagnóstico y ofrecer un tratamiento adecuado a cada paciente.

Por su parte, la doctora Laura Martínez se ha centrado en cómo ayudar al paciente a conseguir una adecuada salud y calidad de vida oral. Martínez hacía incidencia en el la “Medicina integrativa” que sumaba la medicina convencional con la natural, una medicina multidisciplinar en el que los propios profesionales puedan derivar al paciente en función de las patologías detectadas. La doctora recalcaba el papel de los dentistas indicando que “hay tratamientos que aplican los odontólogos que curan, pero también se pueden prevenir enfermedades con una asistencia periódica, además de realizar tratamientos que sirven para mejorar la calidad de vida de los pacientes”. 

LA AUVBD CELEBRA EN PAMPLONA EL XVI CONGRESO NACIONAL DE BLANQUEAMIENTO DENTAL

Lospasados días 24 y 25 de marzo tuvo lugar en las nuevas instalaciones del Hotel Castillo de Gorraiz, en Pamplona, el XVI Congreso Nacional de Blanqueamiento Dental, organizado por la Asociación Universitaria Valenciana de Blanqueamiento Dental (AUVBD), la cual este año se formalizará el traspaso a la nueva Asociación Española de Blanqueamiento Dental (AEBD).

Desde la Asociación puntualizan que “la AUVBD ha sido la asociación pionera en esta disciplina y en promover estos tratamientos y eventos, cogiendo año a año más fuerza”.

Dicho evento es el más reconocido en el tema de blanqueamiento dental, el cual se venía desarrollando con una frecuencia anual y por motivos de la pandemia ha permanecido 3 años sin poderse celebrar.

El Congreso Nacional de Blanqueamiento Dental fue presidido por el Dr. Juanjo Iturralde en colaboración con el Dr. Gonzalo Llambés, actual presidente de la AUVBD, y Manuel Iglesias, futuro presidente de la próxima edición del Congreso que se realizará en Granada en el año 2025.

Según indican los organizadores, la asistencia fue mayor de la esperada, colgando el cartel de “completo” y batiendo récord de ediciones anteriores, al cual acudieron tanto dentistas como higienistas -que tuvieron sus

propias formaciones de todo España y donde disfrutaron de las conferencias y talleres-.

El encuentro reunió a los ponentes más reconocidos a nivel nacional de dicha especialidad dentro de la odontología, tocando diversos temas relacionados con el blanqueamiento como: sensibilidad dental (Dra. Isabel Giráldez), adhesión (Dr. Alfonso Arellano), restauración (Dra. María Cura), dientes no vitales con tetraciclinas (Dr. Borja Zabalegui), efectos adversos (Dra. Carmen Llena), modas en redes sociales (Dra. Jessica Sena), materiales biocerámicos y discoloración (Dr. José Luis Sanz) y diagnóstico y plan de tratamiento en casos complejos (Dr. Rafael Beolchi).

También se llevaron a cabo los dos talleres planificados, con temas muy actuales, como son la toma de color con espectofotómetros (Dr. Gonzalo Llambés) y la confección de férulas para blanqueamiento (Dr. Juanjo Iturralde), imprescindibles para obtener unos buenos resultados. 

actualidad EVENTOS, SOCIEDADES Y EMPRESAS 76 eldentistamoderno abril 2023
En la imagen, el Dr. Paulo Mesquita durante su conferencia magistral durante el VI Congreso Dental Aragonés. Ilustre Colegio de Odontólogos y Estomatólogos de Aragón

TOMA DE POSESIÓN DE LA NUEVA JUNTA DE GOBIERNO

DEL COLEGIO PROFESIONAL DE HIGIENISTAS DENTALES DE MADRID

Elpasado 23 de febrero la Mesa Electoral adoptó el acuerdo de proclamar electa a la candidatura encabezada y presentada por César Calvo Rocha, para continuar al frente de la Junta de Gobierno del Colegio Profesional de Higienistas Dentales de la Comunidad de Madrid durante los próximos cuatro años. Los cargos para los que son nombrados los integrantes de la Junta de Gobierno se corresponden con los siguientes:

• Presidente: César Calvo Rocha.

• Vicepresidenta: Leonor Martín-Pero Muñoz.

• Secretaria: Cristina Navarro Martín.

• Tesorera-Contadora: Elisa Carballido Ferreira.

• Vocal: Carmen María Corral Téllez. Asimismo, quedaron nombradas como suplentes Sonia Rodríguez Fernández y Susana Cano López. 

HENRY

Y LA FORMACIÓN CON SU NUEVO CENTRO DE EXPERIENCIAS EN MADRID

Henry Schein España ha presentado recientemente su nuevo Centro de Experiencias, localizado en la Calle Duque de Sesto, nº 52 de Madrid. La creación de este nuevo espacio, con una superficie de 300 metros cuadrados y ubicado en pleno centro de la capital, viene a reforzar el deseo de la compañía de conectar de una forma más experiencial con sus clientes. El nuevo espacio, diseñado por y para los profesionales del sector, es una muestra más del compromiso de Henry Schein con la vanguardia y las nuevas tecnologías, y ofrece a dentistas y protésicos dentales la posibilidad de conocer, con demostraciones en vivo, algunos de los últimos y más innovadores sistemas y equipamientos para clínica y los laboratorios dentales.

El Centro de Experiencias de Henry Schein cuenta también con la presencia de un equipo de asesores que estará a disposición de los clientes para informales sobre los servicios y soluciones de negocio de la compañía, así como para orientarles a la hora de adquirir un producto o servicio y garantizar que éste se ajusta a sus necesidades. La solicitud de demostraciones podrá hacerse mediante cita previa en la web del Centro de Experiencias de Henry Schein.

La compañía busca, además, facilitar la introducción de los últimos avances tecnológicos, por lo que el nuevo espacio dispone también de salas de formación en las que organizarán ponencias, talleres y sesiones informativas impartidas por fabricantes y profesionales del sector, que estarán dirigidas tanto a profesionales dentales noveles como a expertos.

Adicionalmente, y de forma complementaria al Centro de Experiencias, Henry Schein ha puesto en marcha dos nuevos servicios, Fast Track y Service First. Fast Track es un servicio exprés de compra de equipos dentales que ofrece acceso inmediato a un equipo de asesores expertos, que evaluarán y aconsejarán sobre el mejor producto para el cliente. Fast Track permite a su vez realizar reservas para demostraciones online en directo de equipamiento dental y software de gestión. Por su lado, Service First es una nueva plataforma online que permite contactar con solo unos clics con el servicio técnico de Henry Schein para informar sobre un defecto o mal funcionamiento de un dispositivo, y solicitar ayuda con la reparación. 

77 eldentistamoderno abril 2023
SCHEIN ESPAÑA REFUERZA SU APUESTA POR LA INNOVACIÓN
En la imagen, la nueva Junta de Gobierno del Colegio Profesional de Higienistas Dentales de la Comunidad de Madrid durante los próximos cuatro años. Colegio Profesional de Higienistas Dentales de la Comunidad de Madrid

Detection Eye, el escáner intraoral para el flujo de trabajo digital de Zirkonzahn

El escáner intraoral Detection Eye de Zirkonzahn se distingue por su extrema precisión en la toma de impresiones y su alta velocidad de escaneado, lo cual permite digitalizar la arcada del paciente en menos de 60 segundos. El escáner realiza escaneos en color y en tiempo real con límites de preparación bien definidos, garantizando un proceso más sencillo gracias a la digitalización sin la presencia de polvo. Gracias a su intuitivo software, el usuario puede escanear con un solo botón o utilizar la función de “Motion Sensing” para emitir órdenes con sólo mover el escáner. Según explican desde la compañía, esta tecnología simplifica la manipulación y garantiza una impresión sin riesgo de contaminación cruzada por contacto con el PC. Además, el software de inteligencia artificial identifica y elimina automáticamente los datos superfluos de los tejidos blandos, para lograr un proceso de exploración rápido y optimizado. Por último, la opción del uso de dos tipos de puntas diferentes (estándar y pequeña) hace posible que el procedimiento sea más cómodo para el paciente.

Zirkonzahn www.zirkonzahn.es

La innovación, punto en común de las últimas novedades de Eighteeth

patentado, que aporta un alto control de precisión y brinda un tratamiento menos doloroso.

• Microscopio DentalAcuVisionX®: creado para revolucionar la visión en la clínica dental. Ahora el profesional podrá tratar con más seguridad y garantía lo que ve: todo.

• Lupas binoculares dentales 5x-Brilliance48°®: combinación perfecta entre magnificación dental (5x) y ergonomía.

Eighteeth, diseñador y fabricante de innovadores productos y dispositivos dentales, ha presentado 6 nuevos productos en la IDS 2023, que destacan por su innovación y completan el portafolio de la compañía:

• Endo Motor-E-connect S+®: nueva generación de motores de endodoncia, con un mayor rango de velocidad y torque, y un mayor número de sistemas de limas de endodoncia precargados y programable para aportar al profesional un acceso de forma más cómoda a mayores y rápidas posibilidades de trabajo en la consulta.

• Sistema de Administración de Anestesia Dental-E-FLOW®: sistema de administración de anestesia dental con tecnología de guiado hidráulico

• Motor de implantesMotorSurg®: dispositivo confiable en cirugía. “Complete de manera eficiente la cirugía con este poderoso, preciso, estable y seguro motor de implantes”, apuntan desde la compañía.

• Escáner Digital-Helios500®: escáner intraoral con una elevada precisión y velocidad de escaneado, pero también un precio asequible para cualquier profesional, según indican desde la empresa. Helios 500 constituye el segundo escáner intraoral de Eighteeth tras el lanzamiento de Helios 600 en 2022.

MATERIALES, INSTRUMENTAL Y EQUIPO 78 eldentistamoderno abril 2023
novedades
Eighteeth www.eighteeth.com

Align Technology presenta sus innovaciones para ortodoncia digital y odontología restauradora en la IDS 2023

Align Technology aprovechó su presencia en la IDS 2023 para presentar sus últimas innovaciones, que buscan acelerar el crecimiento de la odontología digital.

Durante el encuentro, la compañía presentó su última innovación, el software de planificación de tratamientos ortodóncicos y restauradores Invisalign Smile Architect™, que permite a los doctores planificar el posicionamiento de los dientes en concordancia con el objetivo estético de la sonrisa, cuando el tratamiento restaurador sigue a la ortodoncia. Así, el 45% de los procedimientos prostodónticos podrían beneficiarse de la alineación dental prerrestauradora y ahora Align ha unido las dos áreas de tratamiento, eliminando la necesidad de que los doctores adopten flujos de trabajo digitales separados.

El stand interactivo de Align Technology presentaba las innovaciones que forman la Align Digital PlatformTM, un conjunto integrado de tecnologías y servicios patentados en continua evolución. El diseño guiaba a los asistentes desde el inicio del viaje de los pacientes, pasando por las consultas y el tratamiento, hasta sus sonrisas finales.

Los asistentes al evento pudieron conocer mejor el enfoque de la odontología holística de Align Technology, centrado en la prevención, la restauración/reparación, el mantenimiento y la sustitución, así como las últimas innovaciones de la empresa en el diseño facial de sonrisas. Estas innovaciones permiten que las sofisticadas herramientas digitales no sólo guíen a los doctores en cada paso de la planificación del tratamiento, sino también que los pacientes puedan visualizar el aspecto que tendrán con sus nuevas sonrisas.

El stand de Align también mostró otras dos características digitales: la planificación integrada del tratamiento orto-restaurador, que permite un tratamiento mínimamente invasivo incorporando el tratamiento Invisalign® en los planes restauradores; y el análisis de la masa dental a través de una

herramienta dedicada para ayudar a preservar la estructura dental sana utilizando un tratamiento mínimamente invasivo para obtener resultados duraderos.

Align Technology www.aligntech.com

Escaneado de alta velocidad simultánea con el PrograScan PS7 de Ivoclar

Ivoclar ha desarrollado la familia PrograScan de escáneres de laboratorio que han cautivado a técnicos de todo el mundo por su facilidad de manejo, alta precisión y fiabilidad. Ahora la empresa presenta el PrograScan® PS7, el primer escáner de laboratorio de gama alta del sector que puede escanear simultáneamente modelos de maxilar superior e inferior, en sólo 10 segundos, de forma totalmente automatizada y en un solo proceso.

Para los protésicos dentales, esto significa que pueden completar su trabajo de forma aún más rápida y eficaz con una interacción mínima por su parte. El nuevo PrograScan PS7 se ha diseñado especialmente para laboratorios dentales con grandes volúmenes de producción. Equipado con dos mesas de escaneado, dos unidades de iluminación óptica y ocho cámaras, el nuevo escáner permite iniciar los trabajos de escaneado con un solo clic. El tiempo de escaneado puro para dos modelos es de 10 segundos con una precisión de 5 μm. El escáner

detecta automáticamente cualquier accesorio. Y los modelos digitales sólo tardan 2 minutos en estar listos en el software de diseño para su posterior procesamiento. “Estos escaneados suponen un ahorro de tiempo considerable, ya que son aproximadamente tres veces más rápidos en comparación con los procedimientos de escaneado secuencial”, aseguran desde Ivoclar.

El PrograScan PS7 está integrado con el software exocad Dental CAD para ofrecer un manejo sencillo e intuitivo, al igual que los demás escáneres de laboratorio de la familia PrograScan. La tecnología, el software y los materiales están estrechamente coordinados entre sí. El nuevo PrograScan PS7 se integra perfectamente con todos los flujos de trabajo probados y digitales de Ivoclar.

MATERIALES, INSTRUMENTAL Y EQUIPO 80 eldentistamoderno abril 2023
novedades
Ivoclar www.ivoclar.com

invis es el futuro ortorestaurador.

Invisalign S mile Architect ™

Transforme los procedimientos invasivos del pasado en los tratamientos mínimamente invasivos del mañana.

Invisalign Smile Architect™ es la primera solución de diseño de sonrisas que combina alineación y planificación restauradora en una única plataforma, promoviendo una salud bucodental integral.

© 2023 INVISALIGN, ITERO y CLINCHECK, entre otras, son marcas comerciales y/o marcas de servicio de Align Technology, Inc. o una de sus filiales o empresas asociadas y pueden estar registradas en EE.UU. y/o en otros países. M11148

Ser original no tiene precio. Seguir siendolo, sólo 199€*

TARIFA PLANA NSK

Tu turbina de la Serie S-Max M como nueva, gracias a la promoción especial Tarifa Plana NSK. Cambia el antiguo rotor de tu turbina por un nuevo rotor original NSK, por sólo 199€* (mano de obra incluida).

Oferta especial válida hasta el 31 de Julio de 2023. ¡Aprovéchala ahora!

NSK Dental Spain S.A. www.nsk-spain.es Módena, 43 · El Soho-Európolis · 28232 Las Rozas de Madrid - tel: +34 91 626 61 28 · fax: +34 91 626 61 32 · e-mail: info@nsk-spain.es
* Los precios no incluyen IVA. Ofertas limitadas hasta el 31 de Julio de 2023.

Turn static files into dynamic content formats.

Create a flipbook
Issuu converts static files into: digital portfolios, online yearbooks, online catalogs, digital photo albums and more. Sign up and create your flipbook.