El Dentista Moderno - nº 73

Page 1

Siguiendo la evolución de la Odontología para el profesional del sector llamado a construir el futuro

www.eldentistamoderno.com

ENTREVISTAS

• Dr. Lluís Giner Tarrida, Decano de la Facultad de Odontología de UIC Barcelona

• Dr. Rafael Vila, presidente de SOCE, y Dr. Fernando Loscos, presidente del Congreso SOCE Zaragoza 2023

IMPLANTOLOGÍA RESTAURACIÓN DENTOALVEOLAR

SEPA-DM

JÓVENES TALENTOS

• Dr. Fernando Noguerol Sicilia, especialista en periodoncia e implantes

FLUJO DIGITAL EN PRÓTESIS COMPLETA

D4.0

ENTREVISTA A LA INDUSTRIA

DENTAL: IDS 2023

PENSANDO EN EL FUTURO FORMACIÓN

N úmero 73 • Marzo 2023 @dentistamoderno @eldentistamoderno
@eldentistamoderno
@eldentistamoderno

Ofertas Especiales

DESDE EL 1 DE FEBRERO HASTA EL 31 DE AGOSTO DE 2023

S-Max M CONTRA-ÁNGULOS DE ACERO INOXIDABLE

2 Contra-Ángulos del mismo modelo

2 Multiplicadores del mismo modelo

MODELO M25

REF. C1027

• Sin Luz

• Velocidad Directa 1:1

• Spray Simple

• Velocidad Máxima: 40.000 min-1

• Para fresas CA (ø2,35)

• 2 AÑOS de Garantía

MODELO M25L

REF. C1024

• Con Luz

• Velocidad Directa 1:1

• Spray Simple

• Velocidad Máxima:

40.000 min-1

• Para fresas CA (ø2,35)

• 2 AÑOS de Garantía

MODELO M95

REF. C1026

• Sin Luz

• Multiplicador 1:5

• Spray Quattro

• Velocidad Máxima: 200.000 min-1

• Para fresas FG (ø1,6)

• 2 AÑOS de Garantía

MODELO M95L

REF. C1023

• Con Luz

• Multiplicador 1:5

• Spray Quattro

• Velocidad Máxima:

200.000 min-1

• Para fresas FG (ø1,6)

• 2 AÑOS de Garantía

819€* 1.802€*

819€* 1.808€*

S-Max M

POTENCIA 26W

• Clean Head System (Anti-Retorno)

• Torque: 26W

• Tamaño del Cabezal:

ø12,1 x Al 13,3 mm

• Velocidad: 325.000~430.000 min-1

• Cuerpo de Acero Inoxidable

• Spray de Agua Quattro

• Porta-fresas Push Botton

• Rodamientos de cerámica

• Fácil cambio del cartucho por el propio usuario

• 2 AÑOS de Garantía

1.019€* 2.394€*

TURBINAS DE ACERO INOXIDABLE CON LUZ

2 Turbinas del mismo modelo

Conexión NSK

MODELO M900L

REF. P1254

619€* 1.358€* 819€* 1.850€*

Conexión KaVo® MULTIflex®

MODELO M900KL

REF. P1258

819€* 2.074€*

KaVo® y MULTIflex LUX® son marcas registradas de Kaltenbach & Voight GmbH & Co, Alemania

* Los precios no incluyen iva. Ofertas limitadas hasta el 31 de Agosto de 2023 o hasta fin de existencias.

NSK Dental Spain S.A. www.nsk-spain.es Módena, 43 · El Soho-Európolis · 28232 Las Rozas de Madrid - tel: +34 91 626 61 28 · fax: +34 91 626 61 32 · e-mail: info@nsk-spain.es

CONCEPTO BIOBLOCK®

Perfecto sellado biológico Excelente hermetismo

LA MEJOR DECISIÓN PARA EL ÉXITO DE TUS TRATAMIENTOS IMPLANTOLÓGICOS

La utilización de pilares intermedios permite importantes ventajas como un menor riesgo de periimplantitis, una mejor transmisión de las cargas y un mayor contacto con los tejido s blandos gracias a sus propiedades físico-químicas

Ebook gratuito

TRANSEPITELIAL PARA PRÓTESIS UNITARIA CON CARGA INMEDIATA

1 eldentistamoderno marzo 2023
BTI Biotechnology Institute Tel: (+34) 945 140 024 | info@bticomercial.com | bti-biotechnologyinstitute.com
BIOBLOCK ® : NUEVO ENFOQUE PROSTODÓNTICO

sumario

DM eldentistamoderno

Número 73 - Marzo 2023

En portada:

Foto 14 de la página 41, correspondiente al caso de Tecnología 3D, titulado “Flujo digital en prótesis completa”

6

EDITORIAL

Hacia una formación continuada y reciclada

Por Jesús D. Parejo García, miembro del Comité Científico de DM Dentista Moderno.

8 ENTREVISTA

“La Universidad debe seguir siendo el motor de las futuras especialidades en España siguiendo el modelo de Europa”

ENTREVISTAS Dr. Lluís Giner Tarrida, Decano de la Facultad de Odontología de UIC Barcelona

Dr. Rafael

12

Dr. Lluís Giner Tarrida, Decano de la Facultad de Odontología de UIC Barcelona y Presidente de la Conferencia de Decanos/as y Directores Académicos de las Facultades de Odontología de España

IMPLANTOLOGÍA

Implantes extracortos (5,5 y 6,5 mm) con inserción directa y carga inmediata. Estudio retrospectivo

Autor: Dr. Eduardo Anitua

22

Siguiendo la evolución de la odontología

DIRECTORA

Emiliana Rodríguez Charmes emi.rodriguez@eldentistamoderno.com

SUBDIRECTORA

Beatriz Suárez de la Vega beatriz.suarez@eldentistamoderno.com

REDACCIÓN Y FOTOGRAFÍA

Departamentos propios Versys Ediciones Técnicas

DIRECTOR CIENTÍFICO

Imanol Donnay

COMITÉ CIENTÍFICO

Javier de la Cruz, José Nart, Jesús Daniel Parejo, Juan López Palafox, Miguel Burgueño, Juan Manuel Vadillo, Guillermo Galván, Rafael Martínez de Fuentes, Anna Ramiro, Carlos Repullo, Leticia Rodríguez, Marta Revilla, José María Malfaz, Eva Mª Martínez y Eva López de Castro

DISEÑO Y MAQUETACIÓN

Manuel Beviá

DIRECTORA COMERCIAL ÁREA DE DISTRIBUCIÓN

Mercedes Álvarez mercedes.alvarez@versysediciones.com

DIRECTORA DE CUENTAS DM

Emiliana Rodríguez Charmes emi.rodriguez@eldentistamoderno.com

EJECUTIVA DE CUENTAS DM

Beatriz Montero Fernández de Bobadilla beatriz.montero@eldentistamoderno.com

32

RESTAURACIÓN DENTOALVEOLAR

Restauración dentoalveolar inmediata para el tratamiento de alvéolos posextracción tipo II y tipo III utilizando un injerto triple de la tuberosidad del maxilar: una serie de casos

Autores: Dr. José Carlos Martins da Rosa, Dra. Ariádene Cristina Pértile de Oliveira Rosa y Prof. Luis Antonio Violín Dias Pereira

JÓVENES TALENTOS

“Hoy en día, no necesitamos irnos fuera de España para adquirir un alto grado de competencia clínica o investigadora”

Dr. Fernando Noguerol Sicilia, especialista en periodoncia e implantes

36

TECNOLOGÍA 3D

Flujo digital en prótesis completa

Por: Dr. Fernando Germán

44 ENTREVISTA

“SOCE Zaragoza 2023 presentará las últimas novedades en la industria, la clínica y el laboratorio a nivel digital”

Dr. Fernando Loscos, presidente del Congreso SOCE Zaragoza 2023, y Dr. Rafael Vila, presidente de SOCE

2 eldentistamoderno marzo 2023
SUMARIO
Vila, presidente de SOCE, y Dr. Fernando Loscos, presidente del Congreso SOCE Zaragoza 2023 IMPLANTOLOGÍA RESTAURACIÓN DENTOALVEOLAR JÓVENES TALENTOS • Dr. Fernando Noguerol Sicilia, especialista en periodoncia e implantes FLUJO DIGITAL EN PRÓTESIS COMPLETA www.eldentistamoderno.com Siguiendo la evolución de la Odontología para el profesional del sector llamado a construir el futuro N úmero 73 • Marzo 2023 @dentistamoderno @eldentistamoderno D4.0 ENTREVISTA A LA INDUSTRIA DENTAL: IDS 2023 PENSANDO EN EL FUTURO FORMACIÓN SEPA-DM
SEPA-DM

Hemos mejorado nuestro sistema de gestión, y ahora cualquiera de nuestros clientes podrán realizar los pedidos directamente desde nuestra aplicación, intuitivamente.

También permite hacer un seguimiento total del proceso de fabricación y de envío del pedido realizado.

3 eldentistamoderno marzo 2023 ENVÍANOS TUS IMPRESIONES DIGITALES: LÍDERES EN LA ELABORACIÓN DE PRÓTESIS DENTALES Corona de zirconio 59,90 € 49,90 € Antes Ahora  +34 910 059 139  info@expadent.com www.expadent.com *Las fotografías de este anuncio corresponden a trabajos realizados en nuestro laboratorio YA
DISPONIBLE EXPADENT APP
AHORA
QUE TODO SUBE, NOSOTROS BAJAMOS PRECIOS

sumario

Impresión: Gama Color

Depósito Legal: M-33444-2013

ISSN: 2340-9703

ISSN (internet): 2340-9797

68 ACTUALIDAD DEL SECTOR DENTAL

78

Versys Ediciones Técnicas S.L. Invierno, 17

28850 Torrejón de Ardoz (+34) 912 972 000 administracion@versysediciones.com

CEO

José Manuel Marcos Franco de Sarabia

DIRECTORA DE OPERACIONES

Esther Crespo

DIRECTOR DE EXPANSIÓN Y DESARROLLO

José Manuel Marcos de Juanes

50

NOVEDADES

Equipamiento, instrumental y material protésico, dental y clínico

DENTISTA 4.0

ENTREVISTA A LA INDUSTRIA DENTAL

“100 años de la IDS, dando forma al futuro dental”

Markus Oster, Vicepresidente de Gestión de Ferias de Koelnmesse, y Dr. Markus Heibach, Director Ejecutivo de la GFDI Gesellschaft zur Förderung der Dental-Industrie mbH, empresa comercial de la VDDI, y Director Ejecutivo de la Asociación de la Industria Dental Alemana (VDDI)

56 PENSANDO EN EL FUTURO

Copyrigth Versys Ediciones Técnicas S.L. La suscripción a esta publicación autoriza el uso exclusivo y personal de la misma por parte del suscriptor. Cualquier otra reproducción, distribución, comunicación pública o transformación de esta publicación sólo puede ser realizada con la autorización de sus titulares. En particular, la Editorial, a los efectos previstos en el art. 32.1 párrafo 2 del vigente TRLPI, se opone expresamente a que cualquier fragmento de esta obra sea utilizado para la realización de resúmenes de prensa, salvo que cuente con la autorización específica. Diríjase a CEDRO (Centro Español de Derechos Reprográficos) si necesita fotocopiar, escanear, distribuir o poner a disposición de otros usuarios algún fragmento de esta obra, o si quiere utilizarla para elaborar resúmenes de prensa (www.conlicencia.com; 917021970/932720447)

Las opiniones y conceptos vertidos en los artículos firmados lo son exclusivamente de sus autores, sin que la revista los comparta necesariamente.

Premio de Comunicación SECIB 2019

Beneficios y aplicaciones del blockchain en el sector de la salud

60 ENTREVISTA

“Actualmente no existe un protocolo para la aplicación de la RV en odontología para su implementación en la práctica clínica diaria”

Dr. Carlos Torres Martín, odontólogo de atención primaria y Doctorando del Programa en Salud y Psicología de la UOC

64

FORMACIÓN

La fotografía, una herramienta necesaria en una clínica dental Por: Marcel Martín Barceló

En portada D4.0: Imagen de la página 56 correspondiente al artículo de Pensando en el futuro, titulado “Beneficios y aplicaciones del blockchain en el sector de la salud

Fotografía el código QR con el lector de tu smartphone para acceder a El Dentista Moderno

4 el
dentistamoderno marzo 2023
SUMARIO
Siguiendo la evolución de la Odontología para el profesional del sector llamado a construir el futuro ENTREVISTA IDS 2023 Markus Oster, Vicepresidente de Gestión de Ferias de Koelnmesse, Dr. Markus Heibach, Director Ejecutivo de la GFDI Gesellschaft zur Förderung der Dental-Industrie mbH Director Ejecutivo de la VDDI FORMACIÓN La fotografía, una herramienta necesaria en una clínica dental Por Marcel Martín Barceló ENTREVISTA Dr. Carlos Torres Martín, odontólogo de atención primaria Doctorando del Programa en Salud y Psicología de la UOC PENSANDO EN EL FUTURO Beneficios y aplicaciones del blockchain en el sector de la salud
NOVEDAD! LA NUEVA GENERACIÓN EN LÁMPARAS LED CONJUNTO DE 12 LEDS LUCES BLANCA Y NEGRA PARA LOS MODOS DE DIAGNOSIS INTERFAZ SIMPLIFICADA FUNCIÓN ACELERÓMETRO © 2022 Ultradent Products, Inc. All rights reserved. ULTRADENT.ES | info@ultradent.es 696 616 752 Área Norte - 616 982 237 Área Levante - 699 888 731 Área Centro

HACIA UNA FORMACIÓN CONTINUADA Y RECICLADA

Últimamente estoy recordando una expresión que oí de un comercial que por entonces empezaba a introducir en los laboratorios tecnología digital CAD: “Esto es tan fácil que lo puede hacer el chico de la escayola, sólo con darle unas nociones en dos días lo está haciendo bien”. Poco tardamos mi padre y yo en darnos cuenta de que aquello tenía de todo, menos de fácil. Tras una formación de 3 días e infinidad de meteduras de pata, al final conseguimos dominar un programa de diseño en 2D que se parecía más a un Excel que a una pieza dental. Por aquel entonces ni siquiera éramos conscientes de que los datos con los que empezábamos a trabajar dependían ya del orden de los 1 y 0, y no de los coeficientes de expansión de los yesos y revestimientos.

Con el tiempo, todos los sistemas han ido mejorando para ofrecer a las clínicas y los laboratorios herramientas que nos faciliten la labor, y eso ha hecho que nos olvidemos de lo fundamental. El éxito o el fracaso en el pasado dependía en gran medida del dominio de los materiales y la maestría en su uso. Una buena impresión de alginato o de silicona no se lograba sin antes conocer las propiedades y el comportamiento de los mismos, así como una buena fundición no se conseguía si no se conocía antes cómo se comportarían las aleaciones y los revestimientos.

Por tanto, en esta nueva era digital es importante invertir en buenos equipos y materiales, pero no podemos pretender que ellos nos hagan el trabajo, hay que detenerse en investigar en cómo se comporta según qué hagamos o no. Cobra por lo tanto un papel fundamental la formación. Pero posiblemente a ésta habría que añadirle los conceptos continuada y reciclada. No podemos pensar que simplemente con hacer una formación de tres días ya vamos a ser capaces de dominar a estos nuevos sistemas, es realmente en su uso diario donde vamos a encontrarnos con los verdaderos problemas que no sabremos resolver y en estos tiempos que corren, no podemos detener nuestras empresas a la espera de que nos den una cita o, simplemente, nos pongan en la cola para darnos una solución (cuando la hay).

Por otra parte, la tecnología va avanzando muy rápido y eso implica realizar cambios en los programas. Dichos cambios a veces son tan “radicales” que llegan a afectar a la interfaz y el usuario se ve obligado a reaprender cosas que ya hacía con otro protocolo u orden o que simplemente no se encuentra en el mismo sitio en la pantalla.

Por tanto, la formación continuada y el soporte técnico eficiente se han convertido a mi parecer en uno de los factores a tener en cuenta más importantes a la hora de invertir en tecnología a día de hoy, tanto en las clínicas como en los laboratorios. Señores vendedores, ahí lo dejo.

6 eldentistamoderno marzo 2023
EDITORIAL
Jesús D. Parejo García Miembro del Comité Científico de DM Dentista Moderno. Miguel Burgueño Javier de la Cruz Guillermo Galván Eva López de Castro Juan Manuel Vadillo Marta Revilla Carlos Repullo José María Malfaz Eva Mª Martínez Anna Ramiro Director Científico de DM Dentista Moderno. Dr. Imanol Donnay Leticia Rodríguez José Nart Rafael Martínez Juan López Palafox

“LA UNIVERSIDAD DEBE SEGUIR

SIENDO EL MOTOR DE LAS FUTURAS

ESPECIALIDADES EN ESPAÑA

SIGUIENDO EL MODELO DE EUROPA”

Dr. Lluís Giner Tarrida, Decano de la Facultad de Odontología de UIC Barcelona y Presidente de la Conferencia de Decanos/as y Directores Académicos de las Facultades de Odontología de España

El Decano de la Facultad de Odontología de la Universitat Internacional de Catalunya (UIC Barcelona) y Presidente de la Conferencia de Decanos/as y Directores Académicos de las Facultades de Odontología de España, el Dr. Lluís Giner Tarrida, nos relata en esta entrevista sus principales apuestas en materia educativa al frente de la Facultad de Odontología de UIC Barcelona y del importante papel de la Universidad para el desarrollo y avance de la profesión odontológica y, por supuesto, para sus profesionales.

 DM.- Dedicado a la docencia desde 1988, ¿qué es lo que más le apasiona de la educación dental universitaria?

Dr. Lluís Giner Tarrida (Dr. L.G.T.).- ¡Todo! La profesión universitaria tiene tres dimensiones básicas y las tres son apasionantes: la docencia, la investigación y la gestión. Primero, la docencia. En el programa de grado ves a los alumnos entrar como jóvenes llenos de inquietudes, dudas y miedos. Al finalizar sus estudios los reconoces como adultos preparados para abordar las necesidades de la sociedad, desde el ámbito dental hasta la salud de la persona. En la docencia de postgrado avanzas en el conocimiento junto a los alumnos, porque las situaciones y las materias son más complejas, en el límite del conocimiento, casi una provocación a profundizar en todos los aspectos de la profesión. La segunda dimensión es la investigación, que implica buscar la verdad en cualquier ámbito. Esto obliga a ser paciente y perseverante, así que se convierte en fuente de crecimiento. Y la tercera dimensión es la gestión universitaria. Si esta labor se percibe como un servicio a los demás y a la sociedad, se transforma en una fuente de satisfacción y produce alegría dedicarte a ello. Por tanto, se podría decir que me apasiona el “todo” universitario, pero pienso que esto les ocurre a todos los académicos.

entrevista ENTREVISTA 8 eldentistamoderno marzo 2023

 DM.- Como Decano de la Facultad de Odontología de la Universitat Internacional de Catalunya (UIC Barcelona), ¿cuál es su principal apuesta en materia educativa?

Dr. L.G.T.- En primer lugar, la excelencia en la formación del alumnado, tanto en el ámbito teórico como en las habilidades y el trato de la persona-paciente. Es importante que los alumnos sean brillantes en estos aspectos. Esto incluye seguridad en el manejo de las patologías que deben diagnosticar –y tratar–, y también desarrollar la capacidad de ver más allá de la cavidad oral, es decir, su atención integral. En segundo lugar, es importante que tengan muy claras sus limitaciones. El conocimiento actual es muy amplio y muta con rapidez, por lo que deberán seguir formándose. Esto implica aprender a solicitar consejo y a derivar a un paciente.

 DM.- Háblenos del plan de estudios del grado de Odontología de UIC Barcelona. ¿Tienen previsto introducir nuevos planteamientos en un futuro próximo?

Dr. L.G.T.- Sí, sin duda. Estos planteamientos se rigen, básicamente, por la Directiva 2005/36/CE del Parlamento Europeo y del Consejo de 7 de septiembre de 2005, que en España quedó reflejado en la Orden CIN/2136/2008, de 3 de julio. Al ser unas directrices muy amplias, nos han permitido adaptar los contenidos a las exigencias del momento. En general, el plan de estudios de las facultades del país es un tema que tratamos de forma preferencial en la conferencia de decanos y una comisión de la conferencia de decanos trabaja para proponer nuevas directrices que faciliten esta adaptación a los cambios. En su momento, se hizo un gran trabajo con el Libro Blanco de la Odontología, que dirigió el Prof. Dr. Mariano Sanz y en el que tuve la oportunidad de participar. Por otro lado, también estamos trabajando con el Consejo General de Odontólogos para solicitar la regulación de nuevas terapias que puedan ser enseñadas a los graduados.

 DM.- En este sentido, ¿cómo se ha adaptado el plan de estudios, así como el conjunto de la oferta académica de UIC Barcelona en materia de Odontología, a la transformación digital que está protagonizando la profesión?

Dr. L.G.T.- Personalmente, pienso que la transformación digital proporciona mayor seguridad en los tratamientos a los pacientes y permite comunicar mucho mejor cuál es la situación real de su salud bucodental, con lo que ello implica en la autonomía

del paciente. En el ámbito educativo, si bien los conceptos son iguales en la odontología convencional que en la digital, una mejor visualización, planificación y simulación de los resultados permite a los alumnos interiorizar estos conceptos mucho mejor. Por eso nos implicamos en la digitalización desde el principio. Por ejemplo, en la radiología digital fuimos pioneros al instaurarla en la Clínica Universitaria de Odontología de UIC Barcelona. También comenzamos a trabajar, hace ya 25 años, en las prótesis digitales mecanizadas. Al principio de forma tímida y, desde hace diez años, de forma más global. De hecho, desde hace unos años todos los alumnos egresados de grado adquieren competencias en la toma de impresiones digitales y en la elaboración de prótesis mecanizadas. Por supuesto, también los másteres universitarios trabajan con herramientas digitales en un amplio abanico de situaciones. En esta línea, este año hemos ofertado también un máster en Odontología Digital, que es transversal a todas las áreas del conocimiento. Todo ello ha cristalizado en una cátedra de empresa con enfoque multidisciplinar, basada en la tecnología digital actual.

 DM.- ¿Qué oportunidades ofrecen a los alumnos las prácticas previstas para el presente curso académico?

Dr. L.G.T.- Las prácticas preclínicas y de simulación son básicas para que el alumno adquiera seguridad en los procesos diagnósticos y terapéuticos a los

9 eldentistamoderno marzo 2023
La profesión universitaria tiene tres dimensiones básicas y las tres son apasionantes: la docencia, la investigación y la gestión
En la imagen, los miembros de la Junta Directiva de la Facultad de Odontología de UIC Barcelona, con el Dr. Lluís Giner Tarrida al frente.

que tendrá que enfrentarse posteriormente en su actividad clínica. En odontología, las prácticas clínicas de los alumnos son tuteladas, por lo que es el propio alumno el que realiza el tratamiento. Por esto es importantísimo una buena preparación preclínica, que permita aprovechar al máximo el tiempo de práctica clínica, para afianzar las técnicas y manejo de materiales en el ámbito clínico y el trato profesional con el paciente. Pero sabemos que no todos los alumnos tienen la misma velocidad para alcanzar los objetivos docentes; en aquellos casos en los que el alumno se siente inseguro, se individualiza su recorrido curricular. Y en el caso de que el alumno aprenda más rápido, se le proponen objetivos avanzados. Al final, lo más importante para la seguridad del propio alumno es que se sepa capacitado para el trabajo clínico y que el profesor lo acredite.

 DM.- ¿Cuál es el papel de la Universidad como centro de formación de las especialidades en Odontología?

Dr. L.G.T.- Pienso que la Universidad debe seguir siendo el motor de las futuras especialidades, en España, en Europa y en cualquier país. Como comentaba anteriormente, los programas de máster están adaptados a las normativas europeas de especialidades en odontología y acreditados por las sociedades científicas. En la mayoría de los casos el máster es reconocido como especialidad en otros países. Esto ocurre con nuestros másteres y con los másteres de otras facultades de Odontología de España.

 DM.- En este sentido, ¿cuál es su opinión acerca de que España sea el único país europeo en el que no estén reconocidas las especialidades odontológicas?

Dr. L.G.T.- Ciertamente debemos seguir trabajando para conseguir la ley de especialidades en Odontología. En este sentido, llevamos años trabajando desde la Conferencia de Decanos y el Consejo General de Odontólogos, así como desde las sociedades científicas y la dirección general de Ordenación Profesional del Ministerio de Sanidad. Pienso que hay voluntad por parte de la Administración para buscar la forma de encajar nuestra situación, diferente de otras especialidades en ciencias de la salud. Desde la Conferencia de Decanos, como presidente, he trasladado a las sociedades científicas nuestra disposición para ayudar a preparar la documentación que se debe entregar al Ministerio. Es un camino que está abierto y estamos avanzando en él. Espero que podamos tener resultados visibles para la profesión muy pronto.

 DM.- Por otro lado, ¿qué cambios se han producido en la forma de impartir educación a raíz de la pandemia de la Covid-19?

Dr. L.G.T.- Desde el punto de vista más practico, todo lo que aprendimos en aquel momento nos ha servido para mejorar la docencia y la evaluación a nuestros alumnos. Hay que tener en cuenta que tuvimos que adaptarnos a la virtualidad total en un fin de semana, y todas las facultades de Odontología de España estuvieron trabajando con la Conferencia de Decanos en propuestas conjuntas para superar la situación. En aquel momento el presidente era el Dr. De La Macorra y yo el secretario, y solo puedo dar las gracias a todos los decanos y decanas por su colaboración. Pienso que supimos mantener la excelencia en la docencia y esto ha dado sus frutos. Por ejemplo, ahora tenemos algunos programas de máster semipresenciales totalmente consolidados. Además, la universalización de la estructura online ha facilitado la participación internacional; también se ha generalizado el programa COIL, que permite tener actividades académicas concretas entre alumnos de diferentes universidades en formato on-line. En fin, pienso que la pandemia nos trajo mucho sufrimiento, pero hemos sabido aprovechar los retos que nos planteó.

 DM.- Recientemente, UIC Barcelona ha firmado un acuerdo de colaboración con la Rutgers School of Dental Medicine (EE.UU.) para que los alumnos de la Facultad de Odontología que lo deseen puedan obtener también el título de Doctor of Dental Medicine al finalizar sus estudios.

¿Qué importancia tienen este tipo de colaboraciones para UIC Barcelona y sus alumnos?

ENTREVISTA 10 eldentistamoderno marzo 2023
entrevista
En la imagen, el Dr. Lluís Giner Tarrida en un acto de graduación de los alumnos de Odontología de UIC Barcelona.

Dr. L.G.T.- Para nosotros es un paso muy importante y estamos muy contentos, ya que hemos tenido a lo largo de los años algunos alumnos que han querido ir a trabajar a Estados Unidos -algunos lo han conseguido y otros no-, pero en todos los casos ha sido un recorrido enriquecedor. Este acuerdo de colaboración permite a los estudiantes interesados y con un currículo apropiado, acceder de forma más fácil a sus expectativas internacionales. La internacionalización ha sido siempre un objetivo de la facultad y de toda la universidad. Actualmente tenemos dos líneas académicas de grado, una en ingles y otra en español, que cuentan con alumnos de más de 50 nacionalidades, con la riqueza que ello conlleva. Además, hemos incentivado la movilidad universitaria, a través de numerosos intercambios, tanto en el programa Erasmus europeo como en intercambios bilaterales con países no comunitarios. También ofrecemos una doble titulación con otras facultades de odontología. Pienso que todo esto proporciona una apertura de mente a los estudiantes que resulta muy beneficiosa para ellos y para los pacientes que tendrán que atender.

 DM.- Actualmente, ¿colabora UIC Barcelona con otros centros educativos a nivel internacional?

Dr. L.G.T.- Colaboramos con muchos centros educativos a nivel nacional e internacional, tanto en el ámbito académico como en el ámbito de investigación. A este respecto, durante la pandemia se amplió la red de colaboración con diferentes facultades de Odontología en diferentes áreas del conocimiento. También en el ámbito de la investigación, colaboramos estrechamente con diversas facultades de Odontología en estudios multicéntricos y en el desarrollo de protocolos de atención a los pacientes.

 DM.- En su opinión, ¿qué importancia tiene la investigación para la Odontología? ¿Qué grupos de investigación UIC Barcelona están actualmente trabajando en este campo?

Dr. L.G.T.- Es fundamental la investigación en Odontología para avanzar en el conocimiento, aparte de ser una exigencia para el profesorado universitario en los procesos de acreditación, tanto personal como institucional. Estoy convencido de que estar formado en habilidades de investigación nos hace mejores clínicos, porque invita a cuestionarse cada paso y a buscar la opción más contrastada. Por eso potenciamos que los trabajos finales de grado incluyan aportaciones de estudio de campo, en el ámbito de laboratorio o en el ámbito clínico. Cada área de conocimiento en nuestra facultad tiene una o varias líneas de investigación, algunas con proyectos nacionales o europeos de investigación, y muchas de ellas con transferencia del conocimiento con la industria.

 DM.- Por último, ¿qué les diría a aquellos jóvenes que están interesados en estudiar Odontología?

Dr. L.G.T.- El primer día de clase para los alumnos de primero se les explica que es la mejor profesión. En el aspecto científico está al más alto nivel, como la mayoría de las profesiones sanitarias. Pero, además, posee una dimensión de atención personal en la que la interacción con el paciente es frecuente y de largo alcance, porque permite expresar tu propia sensibilidad en cada tratamiento, sobre todo en el ámbito de la estética. Sin duda, hay que ser constante y ejercitar la paciencia para encontrar el lugar profesional que satisfaga, pero el retorno por la satisfacción de atender la salud de toda la sociedad es inmenso. En definitiva, que persigan su “sueño”. 

11 eldentistamoderno marzo 2023
Mi principal apuesta en materia educativa es la excelencia en la formación del alumnado, tanto en el ámbito teórico como en las habilidades y el trato de la persona-paciente

IMPLANTES EXTRACORTOS (5,5 Y 6,5 MM) CON INSERCIÓN

DIRECTA Y CARGA INMEDIATA.

ESTUDIO RETROSPECTIVO

Los implantes cortos y extra-cortos con carga inmediata pueden ser una alternativa predecible, siempre que se utilicen protocolos quirúrgicos y de carga estandarizados y que limiten la pérdida ósea, como el uso de transepiteliales y la ferulización a otros implantes de similar longitud o mayor. De este modo, se disminuye el riesgo de fracaso de los implantes implicados en el procedimiento. Siempre debemos recordar que cada caso es único y, por lo tanto, debemos tratarlo de este modo contemplando pormenorizadamente todas las variables que pueden afectar al resultado.

Introducción

Desde el inicio de la implantología oral, se abre un nuevo método para sustituirlas piezas dentales perdidas por distintos motivos, liberando los dientes remanentes de formar parte de las rehabilitaciones, alargándose de este modo la vida de las piezas dentales y generándose una nueva forma de recuperar la función 1,2. Los implantes dentales se han consolidado como excelentes sustitutos de los dientes perdidos, con estudios que sugieren una tasa de éxito de aproximadamente el 95% en 15 años 3. La llegada de los implantes cortos y extra-cortos han posibilitado además la resolución de casos más complejos de una forma más sencilla y eficaz 4 Con ellos podemos evitar limitaciones anatómicas como el seno en los sectores posteriores del maxilar o la superficialización del nervio dentario en la mandíbula 5-9. Además, las atrofias óseas extremas, incluso en zonas donde no existen limitaciones anatómicas son susceptibles de ser tratadas también con estos implantes 5-9. Para lograr el éxito en estas situaciones y mediante la utilización de estos implantes, debemos realizar modificaciones en los protocolos de inserción que se adapten a la nueva morfología de estos implantes, permitiendo lograr una excelente estabilidad primaria en cualquier situación 8-9. Estas modificaciones, también comprenden la realización de técnicas como la carga inmediata, que se

ha incorporado a los implantes extra-cortos con tasas de éxito comparables a la carga convencional para estos implantes y para los implantes de longitud convencional. Podemos encontrar tasas de supervivencia para los implantes cortos y extra-cortos entre el 87 y el 96,6% 10-16. El principal problema a la hora de evaluar la supervivencia para los implantes cortos y extra-cortos (tanto para la carga inmediata como para los implantes con protocolo convencional) es que existe una gran heterogeinicidad entre los estudios que se engloban para sacar conclusiones de los mismos, mezclándose grupos de implantes de 5,5 hasta 8,5 mm con distintos protocolos de inserción y con diferente protocolo restaurador, por lo que obtener datos unificados comparables es complejo. Por ello, estudios que analicen una o dos longitudes de los implantes extra-cortos por separado con un mismo protocolo quirúrgico para su inserción y protésico para su rehabilitación puede ser una fuente de datos que nos ayuden a entender el comportamiento de estos implantes en distintas situaciones clínicas 17-19. Con esta premisa se ha realizado este estudio retrospectivo, englobándose implantes de carga inmediata con dos longitudes conocidas (5,5 y 6,5 mm) y un mismo protocolo para la inserción y la rehabilitación en diferentes localizaciones y con un amplio periodo de seguimiento.

IMPLANTOLOGÍA 12 eldentistamoderno marzo 2023
caso clínico
Contacto: Eduardo Anitua Foundation eduardo@fundacioneduardoanitua.org

1Private practice in oral implantology, Eduardo Anitua Institute, Vitoria, Spain.

2Clinical researcher, Eduardo Anitua Foundation, Vitoria, Spain. 3 University Institute for Regenerative Medicine and Oral Implantology - UIRMI (UPV/EHUFundación Eduardo Anitua), Vitoria, Spain.

Material y método

Se evaluaron de forma retrospectiva implantes insertados de 5,5 y 6,5 mm de longitud, en cualquier localización anatómica, colocados por un único cirujano mediante la técnica de fresado biológico y en los que se realizó carga inmediata desde el segundo semestre del año 2016 hasta el último semestre del año 2019. Todos los pacientes fueron sometidos a un protocolo diagnóstico consistente en la realización de un Tac dental (cone-beam), modelos y encerado diágnosticos. Desde estos fue realizada una guía quirúrgica que se utilizó en la inserción de los implantes. Antes de la inserción de los implantes se utilizó una pre-medicación antibiótica consistente en amoxicilina 2 gr vía oral una hora antes de la intervención y paracetamol 1 gramo vía oral (como analgésico). Posteriormente los pacientes prosiguieron con un tratamiento de amoxicilina 500-750 mg vía oral cada 8 horas (según peso) durante 5 días. En todos los casos se utilizó anestesia troncular o infiltrativa (local) y se elevó un colgajo a espesor total para la colocación de los implantes. Una vez colocados los implantes se lleva a cabo una sutura para lograr cierre primario con monofilamento de 5/0 y se retira la sutura a los 15 días. La principal variable estudiada fue la supervivencia de los implantes extra-cortos con carga inmediata y como variables secundarias se han estudiado, la estabilidad del hueso crestal, las complicaciones protésicas y la supervivencia de las prótesis.

13 eldentistamoderno marzo 2023
Dr. Eduardo Anitua DDS, MD, PhD1,2,3
1
2 3
Figura 1. Implantes incluidos en el estudio con sus longitudes, diámetros y localización.

caso clínicoIMPLANTOLOGÍA

La medición de la pérdida ósea marginal se realizó en la última radiografía periapical realizada con posicionador de seguimiento. Una vez obtenida la radiografía en formato digital es calibrada mediante un software específico (Digora for Windows, SOREDEX Digital Imaging systems) a través de una longitud conocida en la radiografía como es el implante dental. Una vez introducimos la medida de calibra-

14 eldentistamoderno marzo 2023
4 5
6
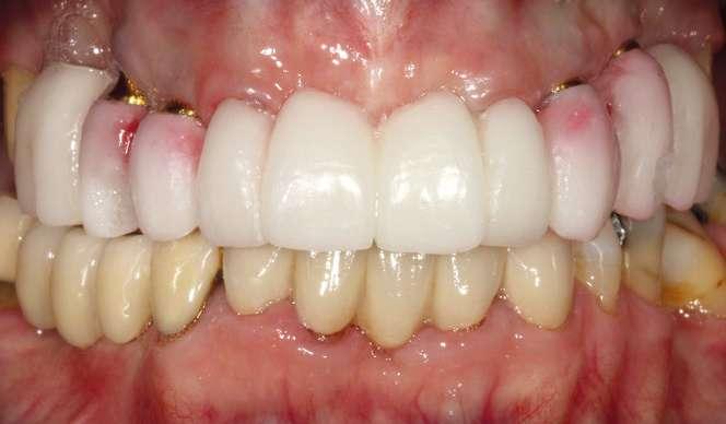
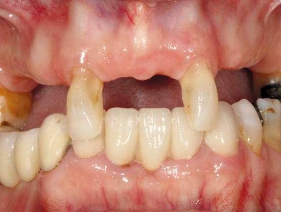
Figuras 2-5. Imágenes intraorales de la paciente donde podemos observar las prótesis parciales removibles desajustadas, tanto estéticas como oclusalmente, por lo que la paciente acude a la consulta demandando tratamiento restaurador.
7
Figura 6. Radiografía panorámica inicial, donde podemos observar los tramos edéntulos a rehabilitar. Figuras 7 y 8. Imágenes del tac de planificación de los dos implantes cortos distales que se van a insertar en zona de 16 y 26. Podemos observar como además de cortos son implantes estrechos, de plataforma reducida y diámetro de 3,5 mm debido a la gran atrofia ósea combinada que existe.

ción, el programa informático realiza un cálculo basado en esta medida para eliminar la magnificación, pudiendo realizar mediciones lineales exentas de este error. La pérdida ósea crestal fue medida en dos puntos: mesial y distal de cada implante. Fue realizado un test de shapiro-Wilk sobre los datos obtenidos para constatar la distribución normal de la muestra.

15 eldentistamoderno marzo 2023
8 9 10 11
Figuras 9-11. Imágenes de la cirugía en la que podemos observar la inserción de los implantes más distales, así como otros de diámetro 2,5 para las zonas con mayor atrofia ósea horizontal.

caso clínicoIMPLANTOLOGÍA

Las variables cualitativas se describieron mediante un análisis de frecuencias. Las variables cuantitativas se describieron mediante la media y la desviación estándar. La supervivencia de los implantes se calculó mediante el método de Kaplan-Meier. Los datos fueron analizados con SPSS v15.0 para windows (SPSS Inc., Chicago, IL, USA).

Resultados

Fueron reclutados 46 pacientes en los que fueron insertados 48 implantes que cumplieron los criterios de inclusión previamente establecidos. El 43,8% de los pacientes fueron varones, siendo la edad media de 55,88 años (+/-9,82). El 12,6% de los pacientes eran fumadores. Tres pacientes presentaban hipertensión arterial en tratamiento farmacológico y el 39,6% eran bruxistas, siendo bruxismo leve el 12,5% de los casos, moderado el 25% de los casos y severo en el 2,1% de los casos. El diámetro mayoritario de los implantes estudiados fue de 5 mm (37,5%), seguido de 5,50 mm (31,3%). En cuanto a las longitudes, la mayoritaria fue de 6,50 mm con un 85,4%. La localización mayoritaria d ellos implantes incluidos en el estudio fue para la posición 26 (31,3%), seguida de la posición 16 (25%). El resto de las localizaciones, diámetros y longitudes, se muestran en la figura 1.

La altura ósea previa media las crestas óseas residuales antes de la inserción de los implantes fue de 7,23 mm (+/-1,67). La densidad ósea media de las áreas en las que se insertaron los implantes fue de 623,43 Hu (+/- 201,81). El torque medio de inserción de todos los implantes estudiados fue de 52,77 Ncm (+/- 14,67; rango 20-70 Ncm). En todos los implantes se utilizó prótesis atornillada mediante transepitelial ferulizándose los implantes a otros contiguos de mayor longitud. No se registraron incidencias protésicas ni fracaso de los implantes durante el tiempo de seguimiento que fue de media de 46,5 meses (+/- 10,2). La media de la pérdida ósea mesial de los implantes fue de 0,86 mm (+/- 1,0) y la media de la pérdida ósea distal de los implantes fue de 0,65 mm (+/- 0,32).

En las figuras 2-19 se muestra un caso de los incluidos en el estudio.

Discusión

Los implantes cortos y extracortos insertados de forma directa y con carga inmediata muestran una alta supervivencia en las series estudiadas. Estudios publicados únicamente con implantes cortos

16 eldentistamoderno marzo 2023
12 13 14
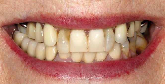
Figuras 13 y 14. Prótesis de carga inmediata colocada en la paciente varias horas tras la cirugía. Figura 12. Carga inmediata de los implantes insertados mediante barras articuladas con una estructura que se puede construir en unas horas y dotar al paciente de oclusión de una forma rápida y sencilla.

y extracortos en los que se realiza carga inmediata (Alvira-González y cols12, Maló y cols13, Cannizzaro y cols15) muestran supervivencias acumuladas elevadas 87%, 95,7%, 96,6% respectivamente. En la serie reportada por nuestro grupo de estudio se ha alcanzado el 100% de la supervivencia, no existiendo complicaciones protésicas y quirúrgicas asociadas en ninguno de los casos.

En el éxito del tratamiento de implantes extra-cortos con carga inmediata intervienen una serie de factores que tienen una repercusión posterior en las tasas de éxito de los diferentes estudios. Estos factores son principalmente: dependientes del lecho óseo, dependientes de la cirugía y del tipo de prótesis20. Uno de los principales factores es la densidad ósea, clave en el torque final de inserción del implante, y por lo tanto en la estabilidad primaria que nos permitirá la carga inmediata. Cuanto mayor sea la densidad del hueso receptor, mayor será la estabilidad primaria, si se ha seguido una secuencia de fresado correcta y adecuada a la morfología del implante a insertar.21 En los implantes reportados en el presente trabajo, la densidad ósea ha permitido la correcta estabilización de los implantes, además de acompañarse de un protocolo de fresado cuidadoso individualizado para lograr un neoalveolo ajustado a la morfología del implante. Las diferencias entre los distintos trabajos que recogen implantes cortos y extracortos con carga inmediata, mezclándose situaciones clínicas dispares así como distintos protocolos de inserción o morfologías de los implantes pueden ser las que generan las variaciones en la supervi-

17 eldentistamoderno marzo 2023
15 16
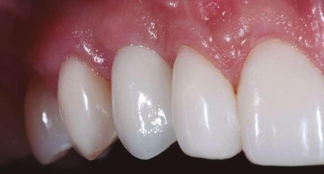
17
Figuras 15 y 16. Encerado para iniciar la confección de la prótesis definitiva seis meses después de la confección de la prótesis de carga inmediata. Esta prótesis se basa en la oclusión obtenida con la prótesis inicial de carga inmediata y las rectificaciones estéticas necesarias tras la prueba en boca, como acortar los transepiteliales.
18
Figuras 17 y 18. Imagen inicial y con la prótesis final recién colocada. Podemos observar la diferencia sobre todo en la estética.

caso clínicoIMPLANTOLOGÍA

La pérdida ósea crestal de los implantes estudiados es también similar a la encontrada en otros estudios publicados con implantes similares donde se reportan pérdidas de 0,4-0,5 mm con un año de seguimiento o 1,25 mm +/- 0,99 mm con tres años de seguimiento11,13,14. Con pérdida ósea mesial de 0,86 mm y distal de 0,65 mm nuestro estudio se encuentra en rango con otros publicados, más aún si tenemos en cuenta que en otros trabajos se engloban implantes cortos y extra-cortos de forma conjunta.

Conclusiones

Figura 19. Radiografía a los 5 años de seguimiento,

vencia. Nuestro grupo de estudio, al presentar una unificación del protocolo de inserción y de carga así como de los implantes colocados en el trabajo presente tiene un mejor resultado en los parámetros relativos a la supervivencia y estos factores pueden ser clave.

Bibliografía

1. Abt E, Carr AB, Worthington HV. Interventions for replacing missing teeth: partially absent dentition. Cochrane Database Syst Rev. 2012(2):CD003814.

2. Esposito M, Ardebili Y, Worthington HV. Interventions for replacing missing teeth: different types of dental implants. Cochrane Database Syst Rev. 2014(7):CD003815.

3. Hadilou M, Ebrahimi P, Karimzadeh B, Ghaffary A, Gholami L, Fathifar Z. Immediate loading of short implants: A systematic review. J Adv Periodontol Implant Dent. 2021 Mar 6;13(1):15-21.

4. Ravidà A, Barootchi S, Askar H, Suárez-López Del Amo F, Tavelli L, Wang HL. Long-Term Effectiveness of Extra-Short (≤ 6 mm) Dental Implants: A Systematic Review. Int J Oral Maxillofac Implants. 2019 Jan/Feb;34(1):68-84.

5. Shah SN, Chung J, Kim DM, Machtei EE. Can extra-short dental implants serve as alternatives to bone augmentation? A preliminary longitudinal randomized controlled clinical trial. Quintessence Int. 2018;49(8):635-643.

6. Gürlek Ö, Kaval ME, Buduneli N, Nizam N. Extra-short implants in the prosthetic rehabilitation of the posterior maxilla. Aust Dent J. 2019 Dec;64(4):353-358.

7. do Vale Souza JP, Tavares Piacenza L, Penitente PA, Bueno Carlini Bittencourt AB, Dos Santos DM, Coelho Goiato M. Success rate of short unitary implants installed in atrophic mandible: Integrative Review. Clin Ter. 2022 Apr 4;173(2):180-183.

8. Anitua E, Alkhraist MH, Piñas L, Begoña L, Orive G. Implant survival and crestal bone loss around extra-short implants

Los implantes cortos y extra-cortos con carga inmediata pueden ser una alternativa predecible, siempre que se utilicen protocolos quirúrgicos y de carga estandarizados y que limiten la pérdida ósea, como el uso de transepiteliales y la ferulización a otros implantes de similar longitud o mayor. De este modo, se disminuye el riesgo de fracaso de los implantes implicados en el procedimiento. Siempre debemos recordar que cada caso es único y, por lo tanto, debemos tratarlo de este modo contemplando pormenorizadamente todas las variables que pueden afectar al resultado. 

supporting a fixed denture: the effect of crown height space, crown-to-implant ratio, and offset placement of the prosthesis. Int J Oral Maxillofac Implants. 2014 MayJun;29(3):682-9.

9. Anitua E, Alkhraisat MH, Orive G. Novel technique for the treatment of the severely atrophied posterior mandible. Int J Oral Maxillofac Implants. 2013 Sep-Oct;28(5):1338-46.

10. Anitua E. Immediate Loading of Short Implants in Posterior Maxillae: Case Series. Acta Stomatol Croat. 2017;51:157-162.

11. Anitua E, Flores J, Flores C, Alkhraisat MH. Long-term Outcomes of Immediate Loading of Short Implants: A Controlled Retrospective Cohort Study. Int J Oral Maxillofac Implants. 2016;31:1360-1366.

12. Alvira-González J, Díaz-Campos E, Sánchez-Garcés MA, Gay-Escoda C. Survival of immediately versus delayed loaded short implants: A prospective case series study. Med Oral Patol Oral Cir Bucal. 2015;20:e480-8.

13. Maló P, de Araújo Nobre MA, Lopes AV, Rodrigues R. Immediate loading short implants inserted on low bone quantity for the rehabilitation of the edentulous maxilla using an All-on-4 design. J Oral Rehabil. 2015;42:615-23.

14. Rossi F, Lang NP, Ricci E, Ferraioli L, Marchetti C, Botticelli D. Early loading of 6-mm-short implants with a moderately rough surface supporting single crowns--a prospective 5-year cohort study. Clin Oral Implants Res. 2015;26:471-477.

15. Cannizzaro G, Leone M, Torchio C, Viola P, Esposito M. Immediate versus early loading of 7-mm-long flapless-placed single implants: a split-mouth randomised controlled clinical trial. Eur J Oral Implantol. 2008;1:277-92.

16. Degidi M, Piattelli A, Iezzi G, Carinci F. Immediately loaded short implants: analysis of a case series of 133 implants. Quintessence Int. 2007;38:193-201.

17. Anitua E, Piñas L, Begoña L, Orive G. Long-term retrospective evaluation of short implants in the posterior areas: clinical results after 10-12 years. J Clin Periodontol. 2014;41:404-11.

18. Anitua E, Flores C, Flores J, Alkhraisat MH. Clinical Effectiveness of 6.5-mm-Long Implants to Support Two-Implant Fixed Prostheses in Premolar-Molar Region: The Influence of Immediate Loading and the Length of Splinting Implant. J Prosthodont. 2019;28:e688-e693.

19. Anitua E, Alkhraisat MH, Piñas L, Orive G. Efficacy of biologically guided implant site preparation to obtain adequate primary implant stability. Ann Anat. 2015 May;199:9-15.

20. Gapski R, Wang HL, Mascarenhas P, Lang NP. Critical review of immediate implant loading. Clin Oral Implants Res 2003; 14: 515-527.

21. Barewal RM, Stanford C, Weesner TC. A randomized controlled clinical trial comparing the effects of three loading protocols on dental implant stability. Int J Oral Maxillofac Implants 2012; 27: 945-956.

18 eldentistamoderno marzo 2023
con la conservación de todo el tratamiento realizado, sin pérdidas óseas.
19

invis es el futuro orto-

restaurador.

Invisalign S mile Architect ™

Transforme los procedimientos invasivos del pasado en los tratamientos mínimamente invasivos del mañana.

Invisalign Smile Architect™ es la primera solución de diseño de sonrisas que combina alineación y planificación restauradora en una única plataforma, promoviendo una salud bucodental integral.

© 2023 INVISALIGN, ITERO y CLINCHECK, entre otras, son marcas comerciales y/o marcas de servicio de Align Technology, Inc. o una de sus filiales o empresas asociadas y pueden estar registradas en EE.UU. y/o en otros países. M10765

Align Technology

ALIGN TECHNOLOGY LANZA INVISALIGN SMILE ARCHITECT™ EN UN EVENTO ONLINE A NIVEL EUROPEO

Invisalign Smile Architect™ es un software de planificación de tratamientos ortodóncicos y restauradores que permite a los odontólogos generales integrar el tratamiento con aligners transparentes en sus planes de tratamiento integrales. Combina la alineación de los dientes y la planificación restauradora en una única plataforma. El 22 de febrero Align dio la bienvenida a dentistas de toda Europa en el evento de lanzamiento online de Invisalign Smile Architect, en el que se ofreció una visión completa de la nueva solución.

Invisalign Smile Architect combina la planificación de tratamientos faciales y orto-restaurativos dentro de la plataforma de software 3D ClinCheck, proporcionando flexibilidad para abordar una va-

riedad de necesidades de los pacientes. Ayuda a los doctores a diseñar un enfoque integral para sus pacientes, con planes de tratamiento mínimamente invasivos que preservan la estructura sana y natural

20 eldentistamoderno marzo 2023
INVISALIGN SMILE ARCHITECT™

Invisalign Smile Architect™ es un software de planificación

del diente. Con la herramienta ClinCheck In-Face Visualization, los doctores reciben una representación facial que pueden utilizar para planificar el tratamiento y ayudar a los pacientes a visualizar su sonrisa tras el tratamiento Invisalign y el tratamiento de restauración dental. Incluye varias funciones nuevas: modificaciones 3D específicas para restauración, visualización multicapa –orto y restauración–, planificación del tratamiento en tiempo real y análisis de la masa dental.

Hacer de la alineación dental un estándar de atención en odontología integral Align invitó a odontólogos generales de toda Europa a un evento online de lanzamiento el 22 de febrero para una sesión de una hora y media que proporcionó una visión completa del nuevo software. Los asistentes tuvieron la oportunidad de aprender de los ponentes las estrategias y ventajas de incorporar la alineación dental en los planes de tratamiento multidisciplinares y estéticos. La Dra. Kristina Baumgarten de Alemania detalló su experiencia con Invisalign Smile Architect como parte de la cartera Invisalign Go y el Dr. Christian Bitar de Francia profundizó en Invisalign Smile Architect como herramienta de la cartera integral Invisalign System. El nuevo software puede transformar la planificación digital del tratamiento al proporcionar a los doctores una mayor flexibilidad, coherencia en las preferencias de tratamiento y capacidad de acceso y modificación del plan de tratamiento en tiempo real. Esto permite a los doctores planificar el caso con el objetivo final del tratamiento en mente, en armonía con la cara de los pacientes, y permitir excelentes resultados preservando una estructura dental sana.

El tratamiento orto-restaurador representa una oportunidad creciente para los odontólogos generales, ya que proporciona a los doctores un ecosistema único para la planificación combinada del tratamiento ortodóncico visual y el cuidado dental restaurativo. La integración del movimiento dental como parte de los tratamientos restauradores puede ofrecer resultados más sanos y duraderos. De hecho, el 45% de todos los procedimientos de prostodoncia podrían beneficiarse de la alineación previa al tratamiento*. 

www.invisalign.eu/gp

*Datos archivados en Align Technology a 20 de septiembre de 2017. Basándose en los datos de una encuesta realizada a odontólogos en EE. UU., se preguntó a los doctores (n=251) “¿Qué porcentaje de los casos de pacientes para procedimientos de prostodoncia (es decir, carillas, implantes, puentes, prótesis parciales) se habrían beneficiado de una mejor posición inicial de los dientes?” (n=251). A partir de las respuestas de los doctores se obtuvo una media del 45%.

21 eldentistamoderno marzo 2023
de tratamientos ortodóncicos y restauradores que permite a los odontólogos generales integrar el tratamiento con aligners transparentes en sus planes de tratamiento integrales
Contenido patrocinado

caso clínico

RESTAURACIÓN DENTOALVEOLAR INMEDIATA PARA EL TRATAMIENTO DE ALVÉOLOS POSEXTRACCIÓN TIPO II Y TIPO III UTILIZANDO UN INJERTO TRIPLE DE LA TUBEROSIDAD DEL MAXILAR: UNA SERIE DE CASOS

La colocación inmediata de implantes en alvéolos comprometidos es un reto. La posición tridimensional del implante, la calidad de la pared ósea vestibular y la regeneración de los contornos de los tejidos blandos son factores clave para los resultados a largo plazo. En este artículo presentamos tres casos en los que se utilizó la restauración dentoalveolar inmediata (IDR) con un triple injerto (TG) para el tratamiento de alvéolos posextracción de tipos II y III. La IDR-TG consiste en realizar implantación inmediata, toma de un TG de una sola pieza que contiene tejido conectivo y hueso cortical y esponjoso de la tuberosidad del maxilar (MT), y provisionalización inmediata en una única intervención.

Introducción

La colocación inmediata de implantes tras la extracción de un diente desahuciado puede ser un reto debido a la presencia de defectos óseos, infección y/o inflamación. La preservación o creación de unos contornos armoniosos de los tejidos blandos en la mucosa periimplantaria y un soporte óseo adecuado son la clave para lograr resultados estéticos favorables tras el tratamiento con implantes en la zona estética (Rosa y cols. 2009; Huynh-Ba y cols. 2010).

Se han descrito varias alternativas quirúrgicas para el aumento óseo y de tejidos blandos en alvéolos comprometidos tras la extracción (Elian y cols. 2007; Cosyn y cols. 2011; Schneider y cols. 2011; Buser y cols. 2013, 2017; Kan y cols. 2018). Sin embargo, estos procedimientos pueden requerir más de un tipo de injerto de tejido y/o regeneración ósea guiada, y conllevan largos periodos de rehabilitación y costes elevados.

En 2007, Elian y cols. propusieron una clasificación de los defectos alveolares, mejorada en 2015 por Chu y cols., que se tuvo en cuenta en este artí-

culo. Los defectos de tipo II, subclasificación IIC, y tipo III presentan un mayor grado de dificultad terapéutica y deben ser abordados con precaución, especialmente en la zona estética (Elian y cols. 2007; Chu y cols. 2015). Además de los efectos de la pérdida ósea y la recesión de los tejidos blandos sobre el tratamiento de los alvéolos posextracción, hemos tomado en consideración los efectos de la recesión gingival, las lesiones periapicales, la infección, la pérdida ósea severa alrededor del diente desahuciado y el biotipo periodontal (Rosa y cols. 2019).

En 2006, nuestro grupo introdujo la restauración dentoalveolar inmediata (IDR, por sus siglas en inglés, immediate dentoalveolar restoration), una técnica de regeneración utilizada para el tratamiento de alvéolos de tipo II, independientemente de la extensión del defecto óseo. La IDR consiste en la colocación inmediata de un implante combinada con la colocación de un injerto en bloque corticoesponjoso extraído de la tuberosidad del maxilar (MT, maxillary tuberosity) (Rosa y

RESTAURACIÓN DENTOALVEOLAR 22 eldentistamoderno marzo 2023
u Contacto José Carlos Martins da Rosa josecarlos@rosaodontologia.com.br Artículo cedido por SEPA

cols. 2013, 2014d). Se consigue la extracción de los dientes y la rehabilitación con esta única intervención, que se resume de la siguiente manera (Rosa y cols. 2013, 2014d):

1. Extracción de dientes mínimamente invasiva y curetaje y limpieza del alvéolo, evitando dañar el tejido remanente.

2. Cirugía sin colgajo en el sitio receptor con una incisión intrasurcular para la extracción.

3. Colocación del implante 3 mm hacia apical del margen gingival (o la unión amelocementaria del diente contralateral en casos de recesión gingival), con la selección de un diámetro de implante que permita preservar un espacio de 3 mm en el alvéolo (entre el implante y la pared ósea vestibular, o la superficie interna del tejido blando vestibular cuando la pared ósea vestibular está ausente) (Rosa y cols. 2016).

4. Colocación del implante, principalmente mediante cirugía guiada, dirigido hacia la pared ósea palatina para obtener estabilidad primaria (torque de inserción ≥30 Ncm).

5. Preservación de las dimensiones de la cresta alveolar con un injerto óseo particulado extraído de la MT colocado en el espacio de 3 mm del alvéolo (para alvéolos intactos), y un bloque corticoesponjoso de la MT como barrera biológica cuando la pared ósea está ausente.

6. Colocación de una corona provisional inmediata y creación de un perfil de emergencia adecuado.

7. Carga inmediata no oclusal (provisionalización).

En el posoperatorio, se recomienda monitorizar al paciente cada 2 días durante las primeras 2 semanas y cada 15 días durante los siguientes 3 meses. Este protocolo produjo resultados estéticos satisfactorios y predecibles en una serie de casos prospectivos (Rosa y cols. 2016). Los aspectos más difíciles de su aplicación técnica están relacionados con el diagnóstico preciso del defecto del alvéolo y la adaptación del injerto en la zona receptora, ya que es un procedimiento sin colgajo. La utilización de la técnica de prototipado puede facilitar el procedimiento y aumentar la precisión (Rosa y cols. 2017). En 2009, nuestro equipo introdujo el uso de un injerto triple (TG, triple graft), formado por la adición de una capa de tejido conectivo al bloque corticoesponjoso y al hueso particulado, para la técnica IDR. La técnica IDR-TG está indicada para el tratamiento de alvéolos de tipo III con biotipos periodontales extremadamente finos o daños severos en la pared ósea vestibular en combinación con recesiones gingivales (Rosa y cols. 2009). Permite una adecuada rehabilitación con implantes en un alvéolo posextracción reciente comprometido, con defectos del hueso alveolar y los tejidos blandos, y proporciona beneficios significativos en los resultados estéticos, con mantenimiento o mejora de la arquitectura gingival (Rosa y cols. 2014a; Rosa y Pereira 2019). Describimos tres casos que ilustran los resultados clínicos favorables logrados con IDR-TG, incluyendo la topografía gingival y la estabilidad ósea a largo plazo, según lo observado en las tomografías computarizadas de haz cónico (CBCT).

23 eldentistamoderno marzo 2023
SEPA-DM
José Carlos Martins da Rosa Doctor en Implantología Oral, Centro de Investigación Odontológica São Leopoldo Mandic, Campinas, São Paulo, Brasil. Ariádene Cristina Pértile de Oliveira Rosa Doctora en Implantología Oral, Centro de Investigación Odontológica São Leopoldo Mandic, Campinas, São Paulo, Brasil. Luis Antonio Violín Dias Pereira Profesor del Departamento de Bioquímica y Biología Tisular, Universidad Estatal de Campinas (UNICAMP), Instituto de Biología, Campinas, São Paulo, Brasil.

caso clínico

Caso 1

1. El problema de la paciente

Una mujer de 33 años de edad se presentó con un incisivo central superior derecho comprometido, pérdida ósea severa y un biotipo periodontal fino.

2. Diagnóstico

La inspección clínica reveló un biotipo gingival extremadamente fino (Figura 1) y el CBCT confirmó la pérdida total de la pared ósea vestibular, mostrando un defecto alveolar de tipo IIC (Figura 2).

3. Objetivo del tratamiento

Los principales objetivos del tratamiento eran restaurar la pared vestibular y aumentar el grosor gingival.

4. Plan de tratamiento

La exodoncia mínimamente invasiva y el curetaje y limpieza del alvéolo fueron seguidos por la colocación inmediata del implante en la posición tridimensionalmente (3D) correcta para lograr estabilidad primaria (torque de inserción ≥30 Ncm), dejando un espacio de unos 3 mm en la cara vestibular. Se fabricó una corona provisional atornillada con un contorno de perfil de emergencia crítico y subcrítico ideal, que proporcionaba espacio para el alojamiento adecuado del injerto. Se reparó el defecto óseo vestibular y se mejoró el grosor del tejido blando utilizando un TG extraído de la MT (Figuras 3, 4, 5, 6 y 7).

Para la obtención del TG, se realizó una incisión mucoperióstica a lo largo del contorno distal del segundo molar, aproximadamente a 3 mm de su cara distal. A continuación, se realizaron dos incisiones verticales de descarga mucoperiósticas en dirección posterior, reproduciendo la forma del defecto. A continuación, se dividió el colgajo de la zona donante comenzando por la línea-ángulo vestibular, dirigiendo después la hoja del bisturí hacia la parte más posterior de las incisiones de descarga, conservando 1-2 mm de espesor de tejido conectivo para cubrir el hueso. Se introdujo un cincel IDR recto (Schwert, Seitingen-Oberflacht, Alemania) a lo largo de las incisiones de descarga para definir la línea de fractura ósea. El cincel se colocó inicialmente perpendicular a la estructura ósea en la línea de incisión que rodeaba la cara distal del segundo molar. Tras la inserción de unos 3 mm con la ayuda de un martillo quirúrgico, se cambió su angulación para que fuera paralelo a la superficie externa del tejido conectivo (Figura 8). Se profundizó gradualmente el cincel hasta el límite distal de las incisiones de descarga para obtener un injerto óseo/gingival uniforme. Se fracturó el hueso y se realizó una incisión en la porción distal del tejido conectivo para extraer el TG en una sola pieza, teniendo cuidado de mantener un pedículo epitelial para garantizar una mejor vascularización del colgajo de la zona donante. Se recogió injerto óseo particulado de la misma zona para rellenar el espacio entre la parte medular del TG y la superficie del implante. A continuación, se suturó la zona donante mediante puntos simples con sutura de 6-0.

RESTAURACIÓN DENTOALVEOLAR 24 eldentistamoderno marzo 2023
1
2 Figura 1. La evaluación clínica del caso 1 reveló un incisivo central superior derecho desahuciado con pérdida total de la pared vestibular y un biotipo periodontal extremadamente fino sin recesión gingival. La profundidad de la bolsa periodontal era de 10 mm. Figura 2. El CBCT confirmó la pérdida total de la pared ósea vestibular en el caso 1.

Figura 3. Tras la extracción del diente en el caso 1, se confirmó clínicamente la pérdida de la pared vestibular.

Figura 4. En el caso 1, el implante se ancló en el hueso palatino remanente en una posición 3D que favorecía la fabricación de una corona provisional atornillada. Como la dimensión vestibulo-palatina del alvéolo era de 7 mm, se seleccionó un implante de 4 mm de diámetro para permitir un espacio de 3 mm en la cara vestibular.

Figura 5. Se colocó un TG (injerto de tejido conectivo, hueso cortical y hueso esponjoso en una sola pieza) obtenido de la MT en el defecto vestibular para reparar el daño de los tejidos duros y blandos del caso 1.

Figura 6. Vista oclusal del caso 1 mostrando el espacio vestibular de 3 mm rellenado con el TG y el injerto óseo particulado obtenidos de la MT.

Figura 7. El triple injerto es obtenido con un cincel recto. En primer lugar, el cincel se coloca perpendicular a la línea de incisión. Tras una ligera profundización con la ayuda de un martillo, se cambia su angulación para que sea paralelo a la superficie del tejido blando. Entonces, se pueden ver las tres capas del injerto (tejido conectivo, hueso cortical y esponjoso). Reproducido de Rosa y cols. 2014, con autorización.

Figura 8. Con la corona de la paciente del caso 1 se fabricó una corona provisional atornillada con un perfil de emergencia adecuado que permitía una correcta adaptación de los tejidos.

25 eldentistamoderno marzo 2023 3 4 5 6 7 8

caso clínico

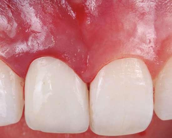
Para facilitar la adaptación del TG en el lugar receptor, lo que permite una mejor reconstrucción y acelera la integración del injerto, fue contorneado para adaptarlo al defecto óseo y de tejido blando. Se insertó entre la cara interna del tejido blando y la cara vestibular del implante, manteniendo una distancia biológica de 1 mm por encima del nivel de la plataforma del implante, y asegurando la colocación de su porción de tejido conectivo 2 mm por encima de la zona del injerto óseo a nivel del margen gingival contralateral. El TG se estabilizó suturando su parte de tejido conectivo al colgajo gingival. Los espacios residuales fueron rellenados con el hueso esponjoso particulado obtenido de la MT. Se fabricó una restauración provisional. Se creó un contorno anatómico adecuado del perfil de emergencia protésico, obligatorio para guiar la cicatrización de los tejidos blandos. La corona provisional fue colocada inmediatamente y ajustada, dejándola fuera de oclusión. La restauración definitiva fue llevada a cabo 3 meses después de la intervención (Figuras 9 y 10).

5. Pronóstico

La paciente fue sometida a seguimiento clínico durante 5 años. El contorno de los tejidos blandos (margen gingival y papilas) se mantuvo estable (Figura 11).

Caso 2

1. El problema del paciente

Un varón de 28 años acudió a consulta con un canino superior derecho periodontalmente comprometido, asociado a un absceso, fístula, pérdida ósea severa, recesión gingival y un biotipo periodontal fino (Figura 12).

2. Diagnóstico

En la inspección clínica, la profundidad de sondaje vestibular era de aproximadamente 8 mm. El defecto alveolar era de tipo III. Un CBCT con tejidos blandos confirmó la pérdida total de la pared vestibular más allá del ápice radicular del diente afectado. Una imagen 3D mostró la extensión del defecto óseo. La fabricación de un prototipo permitió medir la cara vestibular del defecto en dirección corono-apical y mesio-distal (9 y 7 mm, respectivamente) (Figura 13).

3.

Los principales objetivos del tratamiento eran restaurar la pared vestibular, mejorar el grosor gingival y compensar la recesión gingival.

RESTAURACIÓN DENTOALVEOLAR 26 eldentistamoderno marzo 2023
Objetivo del tratamiento
9
11
10 Figura 9. Los tejidos blandos habían cicatrizado y mantenido una posición adecuada a los 3 meses de la intervención en el caso 1. Figura 10. Imagen de CBCT con tejidos blandos del caso 1 tomada a los 4 meses que muestra la integración del injerto óseo y la mejora del grosor de los tejidos blandos. Figura 11. Estabilidad del contorno de los tejidos blandos (margen gingival y papilas) a los 5 años de la intervención en el caso 1.

4. Plan de tratamiento

Al paciente se le prescribieron antibióticos durante 5 días antes de la intervención y 7 días después, debido a la contaminación de la zona quirúrgica. Fue tratado en los términos descritos en el caso 1 (Figuras 14, 15, 16, 17 y 18).

5. Pronóstico

La evaluación clínica a los 6 años de la cirugía mostró la estabilidad del volumen de los tejidos blandos, el margen gingival y la posición de las papilas (Figura 19). El CBCT mostró una restauración completa de la pared ósea vestibular (Figura 20).

Figura 12. En el caso 2, se había perdido el canino superior derecho, con una recesión gingival de unos 2,0 mm y una fístula.

Figura 13. El prototipado 3D mostró el defecto de la pared ósea vestibular en el caso 2; se puede ver la pérdida total de la pared ósea vestibular más allá de los límites de la raíz.

Figura 14. Después de la extracción del diente en el caso 2, el tejido blando estaba colapsado debido a la ausencia de la pared ósea vestibular.

Figura 15. En el caso 2, se insertó un TG obtenido de la MT en el defecto vestibular para reparar los daños en los tejidos duros y blandos, tras la inserción del implante y el rellenado con partículas óseas.

Figura 16. Vista oclusal del caso 2 mostrando el espacio de 3 mm rellenado con el TG y el injerto de hueso esponjoso particulado obtenido de la MT.

Figura 17. En el caso 2 se colocó una corona provisional atornillada con un perfil de emergencia que permitía una adecuada adaptación del TG. Se dejaron expuestos 2 mm del tejido conectivo del TG para mejorar el margen gingival coronal. Este tejido fue suturado con sutura monofilamento de nailon 6-0.

27 eldentistamoderno marzo 2023
12 13 14 15 16 17

caso clínico

Caso 3

1. El problema del paciente

Un varón de 49 años acudió a consulta con un incisivo central superior derecho comprometido, asociado a una grave pérdida ósea, absceso, fístula, recesión gingival y un biotipo periodontal extremadamente fino.

2. Diagnóstico

En la inspección clínica, la profundidad de sondaje vestibular era de aproximadamente 10 mm (Figura 21). El CBCT confirmó la pérdida total de la pared ósea vestibular más allá del ápice radicular del diente afectado (Figura 22).

3. Objetivo del tratamiento

Los principales objetivos del tratamiento eran restaurar la pared ósea vestibular, mejorar el grosor gingival y compensar la recesión gingival.

4. Plan de tratamiento

El paciente fue tratado como en los casos 1 y 2, con las diferencias descritas a continuación. Debido al grado de recesión gingival, se realizaron cuatro incisiones en la zona de las papilas gingivales; dos incisiones horizontales en la zona correspondiente a la unión amelocementaria del diente adyacente, seguidas de dos incisiones divergentes correspondientes al patrón de recesión gingival para el reposicionamiento coronal del tejido gingival (Figuras 23 y 24). A continuación, se estabilizó la porción de tejido conjuntivo del injerto a la altura del margen gingival reposicionado (Figuras 25, 26 y 27), como corresponde en estos casos con recesión gingival de 3-4 mm. Los demás aspectos de la colocación del injerto y la corona provisional fueron los anteriormente descritos para el caso 1 (Figura 28). Al cabo de 3 meses, se fabricó y colocó una corona cerámica definitiva (Figura 29).

5. Pronóstico

La evaluación clínica a los 8 años de la intervención mostró estabilidad de los tejidos blandos (margen gingival y papilas) y mantenimiento del contorno anatómico de la arquitectura gingival (Figura 30). El CBCT mostró una restauración completa de la pared ósea vestibular (Figura 31).

RESTAURACIÓN DENTOALVEOLAR 28 eldentistamoderno marzo 2023
18
19
20 Figura 18. A los 3 meses de la intervención, el tejido blando había cicatrizado y mantenido la posición adecuada. Figura 19. El caso 2 mostraba estabilidad de los tejidos blandos a los 6 años de la intervención. Figura 20. El CBCT tomado 6 años después de la operación en el caso 2 reveló estabilidad del grosor y la altura de la pared vestibular.

Figura 21. En el caso 3, la región del incisivo central superior derecho mostraba una recesión gingival de unos 3,0 mm, presencia de un absceso y una mala calidad de los tejidos blandos.

Figura 22. El CBCT mostró la ausencia total de la pared ósea vestibular en el caso 3.

Figura 23. En el caso 3, el tejido blando había sufrido un colapso tras la extracción del diente debido a la ausencia de la pared ósea vestibular.

Figura 24. El implante fue insertado en el caso 3, con anclaje palatino. Se realizaron cuatro pequeñas incisiones en la zona de las papilas gingivales: dos incisiones horizontales, seguidas de dos incisiones divergentes correspondientes al patrón de la recesión gingival. Se eliminaron los pedículos entre las dos incisiones.

Figura 25. Obtención del TG de la MT con un cincel.

Figura 26. El TG del caso 3 fue remodelado para adaptarlo a la forma y el tamaño del defecto.

Figura 27. Se colocó en la zona receptora con la parte de tejido conectivo orientada hacia el tejido gingival y la parte de hueso esponjoso orientada hacia el implante. El espacio se rellenó con el injerto óseo particulado.

Figura 28. Inserción en el caso 3 de una corona provisional atornillada con un perfil de emergencia que permitía la adaptación del TG. El injerto fue estabilizado mediante la sutura de su porción de tejido conectivo al colgajo gingival de la zona receptora. Se dieron puntos de sutura simples en las regiones de la papila mesial y distal.

Figura 29. El tejido blando había cicatrizado y mantenido su posición correcta, con un volumen notable en la cara vestibular, a los 3 meses de la cirugía del caso 3.

Figura 30. El caso 3 mostraba estabilidad del contorno de los tejidos blandos (posiciones de margen gingival y papilas) a los 8 años de la intervención.

Figura 31. El CBCT tomado a los 8 años de la intervención en el caso 3 mostró estabilidad del grosor y la altura de la pared ósea vestibular.

29 eldentistamoderno marzo 2023
21 22 23 24 25 26 27 29 28 30

caso clínico

clínica y tomográficamente que consigue de forma eficaz estabilidad de los tejidos blandos y del hueso, restableciendo así la estética y la función a largo plazo en alvéolos posextracción de tipo II y III (Rosa y cols. 2014c, 2016).

El TG de la MT es ideal para la regeneración de hueso y tejidos blandos, ya que proporciona una matriz natural llena de células y factores de crecimiento. Por esta razón, IDR-TG es considerada una forma de trasplante de tejidos (Rosa y cols. 2013; Martins Jr. y cols. 2017; Montanaro y cols. 2019). El éxito a largo plazo de la IDR puede ser atribuido en parte a las características estructurales y biológicas del injerto de MT, así como a la correcta manipulación y adaptación al lugar receptor (Rosa y cols. 2014a, 2014b, 2016, 2018).

Conclusiones

Discusión

Se han descrito numerosos procedimientos quirúrgicos para el tratamiento de alvéolos posextracción con colocación de implantes inmediatos (Elian y cols. 2007; Cosyn y cols. 2011; Schneider y cols. 2011; Buser y cols. 2013, 2017; Kan y cols. 2018). El acceso quirúrgico a los alvéolos posextracción se ha obtenido con colgajos de espesor completo (Waki y Kan 2016) y sin colgajo (Frizzera y cols. 2019).

Para abordar deficiencias en la cortical vestibular y rellenar los defectos residuales, se han utilizado injertos de virutas de hueso autólogo (Noelken y cols. 2011), mineral óseo bovino desproteinizado particulado (DBBM) con y sin hueso autólogo (Kan y cols. 2007; Tripodakis y cols. 2016), concentrados de plaquetas con mineral óseo alogénico (Norero e Ibáñez 2018), minibloques de DBBM con colágeno (Albiero y cols. 2014; Assaf y cols. 2017), y mineral óseo bovino con un 10 % de colágeno porcino colocado entre la membrana y el implante dental con un injerto de tejidos blandos (Fizzera y cols. 2019).

Todos los tipos de injertos producen resultados estéticos satisfactorios, con algunas limitaciones.

La técnica IDR es mínimamente invasiva y es realizada con injertos óseos y de tejidos blandos autólogos extraídos de un único lugar; la ausencia de injertos xenogénicos o alogénicos o membranas reduce el coste total del tratamiento y la posibilidad de infección o rechazo. Se ha demostrado

Desde el punto de vista clínico y tomográfico, la IDR-TG proporcionó ganancias de tejido duro y blando, con resultados estéticos y funcionales satisfactorios, en casos con alvéolos posextracción de tipo IIC y III. Se debería tomar en consideración el uso de un TG de una sola pieza extraído de la MT para la preservación y reconstrucción de la cresta alveolar, ya que permite la integración de los tejidos blandos y duros en una única intervención. La IDR-TG es una solución factible y de bajo coste que minimiza el colapso de los tejidos blandos y duros y la pérdida dimensional tras la extracción de dientes unirradiculares. Aunque es una técnica delicada y requiere experiencia y formación, cuando la indicación y ejecución son correctas este abordaje tiene una tasa de éxito elevada. 

RELEVANCIA CLÍNICA

En los casos clínicos caracterizados por alvéolos tipo IIC con biotipo periodontal fino, y en alvéolos posextracción de tipo III con biotipos periodontales finos o gruesos en combinación con recesión gingival de ≤4 mm o infección, el uso de la técnica IDR con un TG obtenido de la MT para la regeneración de defectos de los tejidos duros y blandos en el alvéolo de extracción produce resultados clínicos y tomográficos satisfactorios a largo plazo. Cuando está indicado, el trasplante tisular de un TG (injerto de una sola pieza compuesto por tejido conectivo, hueso cortical y hueso esponjoso) mejora la vascularización del injerto y la recuperación de la recesión gingival y la pérdida ósea.

RESTAURACIÓN DENTOALVEOLAR 30 eldentistamoderno marzo 2023
31 Figura 31. El CBCT tomado a los 8 años de la intervención en el caso 3 mostró estabilidad del grosor y la altura de la pared ósea vestibular.

Resumen

Introducción

La colocación inmediata de implantes en alvéolos comprometidos es un reto. La posición tridimensional del implante, la calidad de la pared ósea vestibular y la regeneración de los contornos de los tejidos blandos son factores clave para los resultados a largo plazo. En este artículo presentamos tres casos en los que se utilizó la restauración dentoalveolar inmediata (IDR) con un triple injerto (TG) para el tratamiento de alvéolos posextracción de tipos II y III. La IDR-TG consiste en realizar implantación inmediata, toma de un TG de una sola pieza que contiene tejido conectivo y hueso cortical y esponjoso de la tuberosidad del maxilar (MT), y provisionalización inmediata en una única intervención.

Presentación de los casos

Un caso con alvéolo posextracción de tipo II y dos casos con alvéolos de tipo III en la zona anterior del maxilar presentaban pérdida ósea y biotipos periodontales extremadamente finos. Los casos 2 y 3 presentaban infección del alvéolo y recesión gingival. En todos los casos se realizó una IDR-TG, con un seguimiento de 5 a 8 años para demostrar la estabilidad de las paredes óseas y del contorno de los tejidos blandos (margen gingival y papilas).

Discusión

Las principales ventajas del uso de la técnica IDR-TG observadas en esta serie de casos son la reversión de la pérdida ósea vestibular severa, la mejora del grosor gingival y la compensación de la recesión gingival en una única intervención, lo que reduce los costes totales y los tiempos de tratamiento. Estos tres casos ejemplifican la eficacia del método a nivel clínico y tomográfico en la obtención de estabilidad de los tejidos blandos y duros en alvéolos posextracción.

Conclusión

La técnica IDR-TG ha dado excelentes resultados a largo plazo en los tres casos aquí descritos y debería ser tomada en consideración para el tratamiento de los alvéolos posextracción de tipo III.

Bibliografía

Albiero AM, Benato R, Degidi M. (2014) Buccal plate regeneration with immediate postextraction implant placement and restoration: Case reports. International Journal of Periodontics & Restorative Dentistry 34, e67-e72.

Assaf JH, Assaf DD, Antoniazzi RP, Osorio LB, Franca FM. (2017) Correction of buccal dehiscence during immediate implant placement using the flapless technique: A tomographic evaluation. Journal of Periodontology 88, 173-180.

Buser D, Chappuis V, Bornstein MM, Wittneben JG, Frei M, Belser UC. (2013) Long-term stability of contour augmentation with early implant placement following single tooth extraction in the esthetic zone: A prospective, cross-sectional study in 41 patients with a 5-to 9-year follow-up. Journal of Periodontology 84, 1517-1527.

Buser D, Chappuis V, Belser UC, Chen S. (2017) Implant placement post extraction in esthetic single tooth sites: When immediate, when early, when late? Periodontology 2000 73, 84-102.

Chu SJ, Sarnachiaro GO, Hochman MN, Tarnow DP. (2015) Subclassification and clinical management of extraction sockets with labial dentoalveolar dehiscence defects. Compendium of Continuing Education in Dentistry 36, 516-522.

Cosyn J, Eghbali A, De Bruyn H, Collys K, Cleymaet R, De Rouck T. (2011) Immediate single-tooth implants in the anterior maxilla: 3-year results of a case series on hard and soft tissue response and aesthetics. Journal of Clinical Periodontology 38, 746-753.

Elian N, Cho S-C, Froum S, Smith RB, Tarnow DP. (2007) A simplified socket classification and repair technique. Practical Procedures & Aesthetic Dentistry 19, 99-104.

Frizzera F, Freitas RM, Muñoz-Chávez OF, Cabral G, Shibli JA, Marcantonio Jr E. (2019) Impact of soft tissue grafts to reduce peri-implant alterations after immediate implant placement and provisionalization in compromised sockets. International Journal of Periodontics & Restorative Dentistry 39, 381-389.

Huynh-Ba G, Pjetursson BE, Sanz M, Cecchinato D, Ferrus J, Lindhe J, Lang NP. (2010) Analysis of the socket bone wall dimensions in the upper maxilla in relation to immediate implant placement. Clinical Oral Implants Research 21, 37-42.

Kan JY, Rungcharassaeng K, Sclar A, Lozada JL. (2007) Effects of the facial osseous defect morphology on gingival dynamics after immediate tooth replacement and guided bone regeneration: 1-year results. Journal of Oral and Maxillofacial Surgery 65, 13-19.

Kan JYK, Rungcharassaeng K, Deflorian M, Weinstein T, Wang HL, Testori T. (2018) Immediate implant placement and provisionalization of maxillary anterior single implants. Periodontology 2000 77, 197-212.

Martins Junior W, Ferraz EP, Beloti MM, Rosa AL, Rosa JCM. (2017) Immediate Dentoalveolar Restoration technique (IDR). Autograft characterization and a case Report. Journal of Osseointegration 9, 305- 309.

Montanaro N, Rosa JCM, Pereira LAV, Romanos GE. (2019) Role of the maxillary tuberosity in periodontology and implant dentistry - a review. Stomatology Edu Journal 6, 249-259.

Noelken R, Kunkel M, Wagner W. (2011) Immediate implant placement and provisionalization after long-axis root fracture and complete loss of the facial bony lamella. International Journal of Periodontics & Restorative Dentistry 31, 175-183.

Norero HN, Ibáñez MA. (2018) A new technique for rebuilding the buccal plate during placement of immediate dental implants in an extraction site with buccal defects. Journal of Implant & Advanced Clinical Dentistry 10, 6-15.

Rosa JCM, Rosa DM, Zardo CM, Rosa, ACPO, Canullo L. (2009). Reconstruction of damaged fresh sockets by connective-bone sliver graft from the maxillary tuberosity, to enable immediate dentoalveolar restoration (IDR) - a clinical case. Implants 10, 12-17.

Rosa JCM, Rosa ACPO, Rosa DM, Zardo CM. (2013) Immediate Dentoalveolar Restoration of compromised sockets: A novel technique. The European Journal of Esthetic Dentistry 8, 432-443.

Rosa JCM, Rosa ACPO, Fadanelli MA, Sotto-Maior BS. (2014a) Immediate implant placement, reconstruction of compromised sockets, and repair of gingival recession with a triple graft from the maxillary tuberosity: A variation of the immediate dentoalveolar restoration technique. The Journal of Prosthetic Dentistry 112, 717-722.

Rosa JCM, Rosa ACPO, Francischone CE, Sotto-Maior BS. (2014b) Diameter selection of implants placed in extraction sockets: A new approach. Dental Press Implantology 8, 80-89.

Rosa JCM, Rosa ACPO, Francischone CE, Sotto-Maior BS. (2014c) Esthetic outcomes and tissue stability of implant placement in compromised sockets following immediate dentoalveolar restoration: results of a prospective case series at 58 months follow-up. The International Journal of Periodontics & Restorative Dentistry 34, 199-208.

Rosa JCM, Rosa ACPO, Zardo CM, Rosa DM, Adolfi D, Canullo L. (2014d) Immediate Dentoalveolar Restoration: Immediate-loaded implants in compromised alveolar sockets. Chicago: Quintessence Publishing.

Rosa ACPO, Rosa JCM, Pereira LAVD, Francischone CE, Sotto-Maior BS. (2016) Guidelines for selecting the implant diameter during immediate implant placement of a fresh extraction socket: A case series. The International Journal of Periodontics & Restorative Dentistry 36, 401-407.

Rosa JCM, Fadanelli MA, Zimmerman D, Rosa ACPO. (2017) The application of rapid prototyping to improve bone reconstruction in immediate dentoalveolar restoration: A case report. The International Journal of Esthetic Dentistry 12, 258- 270.

Rosa JCM, Romanelli J, Calichio LE. (2018) Multidisciplinary approach using slow orthodontic extrusion and the Immediate Dentoalveolar Restoration technique. Quintessence of Dental Technology 41, 189-203.

Rosa JCM, Pereira LAVD. (2019) Predictable esthetic anterior maxillary reconstruction with dental implants and maxillary tuberosity grafts. En: Nevins M, Wang H-L, organizadores. Implant Therapy: clinical approaches and evidence of success. 2.ª ed. Chicago: Quintessence Publishing, v. 1, pag. 175- 196.

Rosa JCM, Rosa ACPO, Huwais S. (2019) Use of the Immediate Dentoalveolar Restoration Technique combined with osseodensification in periodontally compromised extraction sites. The International Journal of Periodontics & Restorative Dentistry 39, 527-534.

Schneider D, Grunder U, Ender A, Hämmerle CHF, Jung RE. (2011) Volume gain and stability of peri-implant tissue following bone and soft tissue augmentation: 1-year results from a prospective cohort study. Clinical Oral Implants Research 22, 28-37.

Tripodakis AP, Gousias H, Mastoris M, Likouresis D. (2016) Five-year volumetric evaluation of periodontally compromised sites restored by immediate implant restorations. International Journal of Periodontics & Restorative Dentistry 36, 645-653.

Waki T, Kan JYK. (2016) Immediate placement and provisionalization of maxillary anterior single implant with guided bone regeneration, connective tissue graft, and coronally positioned flap procedures. International Journal of Esthetic Dentistry 11, 174- 185.

31 eldentistamoderno marzo 2023

jóvenes talentos

“HOY EN DÍA, NO NECESITAMOS IRNOS FUERA DE ESPAÑA PARA ADQUIRIR UN ALTO GRADO DE COMPETENCIA CLÍNICA O INVESTIGADORA”

Dr. Fernando Noguerol Sicilia, especialista en periodoncia e implantes

“Soy feliz siendo dentista”. Así define el Dr. Fernando Noguerol, especialista en periodoncia e implantes, la pasión que siente por su profesión. En esta entrevista, el Dr. Noguerol destaca el alto nivel de la formación odontológica en España, aunque también recalca la importancia de la motivación entre los jóvenes dentistas por hacer las cosas mejor.

 DM.- El vínculo con la Odontología le viene de familia. ¿Cómo le influyó este hecho a la hora de decidir su futuro profesional?

Dr. Fernando Noguerol (Dr. F.N.).- Como dice, mi relación con la Odontología no es algo casual. Al ser hijo de un dentista desde pequeño fui teniendo vínculo con la profesión al ir a la consulta de mi padre. Entre él y mi tío me transmitieron la motivación que ellos tienen por esta profesión. Sin embargo, en todo momento tuve la libertad de decidir qué quería estudiar. Después de estos pocos años de carrera profesional después del máster, soy feliz siendo dentista.

 DM.- Y, en concreto, ¿qué le impulsó a especializarse en Periodoncia?

Dr. F.N.- Esta decisión también estuvo muy influenciada por mi ámbito familiar y social. De hecho, mi padre también estudió el mismo máster que yo hice años después. Cuando salí de la carrera tenía claro que quería enfocar mi formación hacia la cirugía y cuando había ido a congresos, la cirugía mucogingival era lo que más me había impresionado. Además, tengo amigos que cuando yo estudiaba la carrera, estaban haciendo el Máster de Periodoncia de la UCM. Al haber estudiado la carrera en Granada, me apetecía hacer la formación de posgrado fuera de mi ciudad y tomé la decisión de preparar el examen de acceso para el Máster de la UCM.

ENTREVISTA 32 eldentistamoderno marzo 2023

 DM.- Según su currículum, ha cursado usted todos sus estudios en España. ¿Por qué eligió la Universidad de Granada para licenciarse en Odontología?

Dr. F.N.- La facultad de odontología de la Universidad de Granada tiene una trayectoria larguísima de formación de dentistas. De hecho, fue inicialmente una escuela de Estomatología. En la facultad de Granada se han formado dentistas que son investigadores reconocidos a nivel internacional.

 DM.- Después de licenciarse, optó por la Universidad Complutense de Madrid (UCM) para su formación especializada. ¿Qué le motivó a decantarse por la UCM para continuar formándose?

Dr. F.N.- El Máster de Periodoncia de la UCM es un programa de periodoncia referente a nivel internacional. La formación que recibimos allí es una

combinación rigurosa de teoría y práctica. Aunque sea una parte ardua para un estudiante, el conocimiento que obtenemos de las revisiones de literatura nos ayuda a afrontar con más predictibilidad los tratamientos. Además, al tener más de 30 años de trayectoria, cuenta con un plantel de profesores clínicos con mucha experiencia como son los Dres. Ion Zabalegui, Luis Aracil o Pedro Lázaro. El bagaje de alternativas clínicas que aprendemos es muy completo.

 DM.- En líneas generales, ¿cómo catalogaría usted, según su experiencia, la formación en Odontología en España en relación con otros países europeos?

Dr. F.N.- La odontología española está en su momento más álgido. En España hay clínicos e investigadores de referencia a nivel mundial, muchos de ellos ya consolidados, pero también otros tantos que están en sus primeros años de carrera profesional. Hace años, muchos de los que hoy son nuestros maestros salieron de España para formarse. Sin embargo, hoy en día, no necesitamos irnos fuera de España para adquirir un alto grado de competencia clínica o investigadora. Hay másteres con un nivel clínico que nada tienen que envidiar a otros de Europa o Estados Unidos.

 DM.- Respecto a la formación especializada, ¿considera que es imprescindible para alcanzar el éxito profesional y con los pacientes?

33 eldentistamoderno marzo 2023
En España hay clínicos e investigadores de referencia a nivel mundial, muchos de ellos ya consolidados, pero también otros tantos que están en sus primeros años de carrera profesional
En la imagen, el equipo al completo de la Clínica Noguerol.

jóvenes talentos

Dr. F.N.- La formación especializada ayuda a diferenciarse en un mercado laboral en el que hay mucha competencia. No obstante, hay muchos clínicos que haciendo una formación menos reglada que un máster universitario consiguen un alto nivel clínico. De hecho, cada vez hay más dentistas que dominan tanto la cirugía como la prótesis. Elegir en qué sitio hacer la formación es importante, pero también lo es tener mucha motivación para intentar aprovecharla al máximo.

 DM.- Como especialista en Periodoncia, ¿qué momento considera usted que atraviesa la especialidad en España?

Dr. F.N.- La periodoncia ha evolucionado a pasos agigantados con la aparición de los implantes dentales y el auge de los tratamientos de estética dental. Además de ayudar a personas con periodontitis a poder mantener sus dientes, los tratamientos para mejorar la estética de la encía o de las rehabilitaciones implantosoportadas son parte del día a día de nuestro trabajo.

Además, no debemos olvidar que uno de los grandes pilares de la Sociedad Española de Periodoncia (SEPA) es la promoción de la interrelación existente entre la salud oral y la salud general.

 DM.- Actualmente, compagina su trabajo en la clínica de su padre, el Dr. Blas Noguerol, en Granada, con su trabajo en la clínica de la Dra. Serrano de Haro en Madrid. ¿En qué otros proyectos profesionales se encuentra inmerso?

Dr. F.N.- Aparte de mi actividad clínica, también estoy colaborando en el Máster de Periodoncia de la UCM desde hace unos meses. Esta colaboración me hace mucha ilusión por poder volver al máster en el que me formé. En los próximos meses comenzaremos a hacer formación en nuestra clínica de Granada después de la reforma que realizamos en el año 2021.

 DM.- Además, está usted considerado como uno de los “líderes” de la Comunidad Joven de SEPA. ¿Qué consejos le daría a un odontólogo recién licenciado interesado en especializarse en Periodoncia?

ENTREVISTA 34 eldentistamoderno marzo 2023
En la imagen los Dres. Fernando y Blas Noguerol, acompañados de su padre, el Dr. Blas Noguerol (en el centro).

Dr. F.N.- Lo primero es que haga un esfuerzo en formarse bien. En España hay una amplia oferta de posgrados en periodoncia. Una recomendación basada en mi corta experiencia es dedicar mucho tiempo en preparar los casos que se van a tratar; hacer un diagnóstico minucioso y pensar bien el tratamiento. Cometer errores es humano pero hay que evitar cometerlos por falta de diagnóstico y planificación.

 DM.- Los próximos 24 y 25 de marzo tendrá lugar SEPA Young Next Generation. ¿Qué contenidos formativos ofrecerá esta cita científica a los profesionales más jóvenes interesados en la Periodoncia y la Terapia de Implantes?

Dr. F.N.- Como es habitual en la reunión de SEPA Joven, ahora SEPA Next Generation, haremos un evento interdisciplinar y volveremos a contar con sociedades científicas de otras disciplinas. La novedad este año es la expansión internacional del congreso. La sesión del viernes será en inglés con traducción simultánea y participarán ponentes de otras sociedades extranjeras como EAO o SidP. Los contenidos estarán enfocados a los tratamientos con implantes en sector anterior en dientes con mal pronóstico y prevención y tratamiento de la periimplantitis. También se hará una sesión enfocada a higienistas, en la que se hablará de mantenimiento en pacientes con enfermedades periodontales, principalmente periodontitis en estadio IV.

 DM.- Y para finalizar, nos gustaría conocer su opinión sobre el futuro de los jóvenes odontólogos españoles.

Dr. F.N.- La odontología actual no tiene nada que ver con la de finales de los años 90 y principios del 2000 y uno puede pensar que el futuro de los odontólogos hoy en día es peor. Sin embargo, el futuro está en las manos de cada uno.

Las personas que se forman y tienen interés y pasión por ser buenos dentistas acaban teniendo una carrera profesional próspera. Hay que ser competitivos y tener motivación por formarse y hacer las cosas mejor. Además de hacer un máster, es fundamental seguir haciendo formación continuada más allá de ver los casos que la gente sube a Instagram. También es muy recomendable leer revistas científicas para saber hacia dónde está avanzando el conocimiento. 

35 eldentistamoderno marzo 2023
En SEPA Next Generation, haremos un evento interdisciplinar ”
El Dr. Fernando Noguerol con compañeros del curso de regeneración ósea, impartido por el Dr. Luca de Stavola.

FLUJO DIGITAL EN PRÓTESIS COMPLETA

El flujo digital ha pasado de ser una promesa de futuro a una realidad. Todo el protocolo de trabajo, desde el diagnóstico hasta el tratamiento, está mediado por un elemento digital aunque todavía haya muchos protocolos que se realizan con flujos digitales incompletos o parciales. ¿Te consideras digitalizado por tener un escáner? Pues ésa es tan solo una pequeña parte del entramado, aunque puede que forme parte de la rueda que mueve el flujo para completar un proceso de fabricación de una dentadura completa o parcial.

Fases del proceso CAD/CAM en odontología digital y prótesis dental 3D: metodología

El sistema CAD/CAM refiere a una técnica de procesamiento asistida de forma digital. CAD/CAM es el acrónimo inglés de Computer Aid Design/ Computer Aid Manufacturing o en castellano, Diseño Asistido por Ordenador/Fabricación Asistida por Ordenador

La metodología empleada por este tipo de tecnología se desarrolla a través de medios ópticos que permiten escanear un objeto sin necesidad de estar en contacto con el mismo, y mediante un software de diseño que permite reacomodar las imágenes obtenidas con la máxima exactitud, e imprimir la pieza mediante una impresora 3D como la que utilizamos con SprintRay (Figura 1).

De esta manera, somos capaces de imprimir una dentadura o un puente a través de un archivo de lectura internacional para que la impresora pueda desarrollar su tarea de generar el diseño que tenemos en la pantalla y transformarlo en una realidad (Figura 2). Para ello debemos contar con:

1) Un escáner de alta velocidad y completo margen de definición de los tejidos blandos y duros. En nuestro caso, utilizamos el Medit i700. La misma eficacia también la proporciona el Medit i500.

2) Tal y como hacíamos con el formato analógico, es decir, tomando medidas con pastas y llevándolas a la boca para tomar todos los registros y realizar los modelos de yeso, el método digital requiere de tiempo y un entrenamiento que a medio-largo plazo nos permitirá solventar las avenencias que puedan ocurrir durante el escaneado (en otras palabras, es necesario tener paciencia).

3) Un registro de mordida adecuado que permita dar una dimensión vertical y una relación intermaxilar correcta para el posicionamiento de la prótesis (completa o parcial) en base con la relación céntrica del paciente y sus tejidos periféricos (mucosa y labios).

4) Un sistema de envío automático con todos los datos escaneados al laboratorio asociado para que reciba la información a procesar.

5) Un programa de diseño para poder realizar la interpretación de los datos escaneados y comenzar a diseñar las prótesis completas o parciales.

6) Finalmente, una vez impresa nuestra prótesis, debemos conocer y respetar los pasos bajo un protocolo que garantice un material con las características adecuadas en resistencia, pulido y acabado final para una mejor adaptación y durabilidad en la boca de nuestro paciente (Figura 3).

tecnología 3D 36 eldentistamoderno marzo 2023 FLUJO DIGITAL EN PRÓTESIS COMPLETA
1
Contacto: academy@dentinova.es https://academy.dentinova.es

¿Qué pasos necesitamos para un escaneado completo de un desdentado total?

1) Comenzaremos por un escaneado completo del maxilar superior y desde la zona retromolar para continuar con el paladar y las arrugas palatinas. Tip: es importante tener alguna anatomía particular que se diferencie de un lado y otro para que el scandata no confunda los lados escaneados y cruce esta información (Figura 4).

Recordemos retraer y separar los tejidos de la parte vestibular para una mejor sujeción de la futura prótesis impresa. A pesar de ser complejo, es esencial, y de hecho existen técnicas que permiten una mejor calidad de escaneo para conseguir este sellado periférico.

2) Seguiremos con el escaneado del maxilar inferior, desde la parte posterior, al igual que el maxilar superior, recorriendo las mesetas o reborde alveolar de la encía para ir hacia el lado opuesto. Asimismo, es importante poder conseguir una buena extensión del maxilar de la misma manera que en el maxilar superior, así la dentadura puede extenderse completamente y podemos conseguir un mejor asentamiento (Figura 5).

3) Registros de mordida: obtener la relación entre el maxilar superior e inferior, ya sea dentado o desdentado.

37 eldentistamoderno marzo 2023
2 3 4
Dr. Fernando Germán DDS. Director Dentinova. Director Dentinova Academy. Postgrado en Implantología New York University. Kol de Sprintray Ibérica. Ponente de ETK Implant.

tecnología 3D

¿Qué obtenemos en este paso?

Con este sistema, habremos obtenido los maxilares escaneados listos para la confección de unos rodetes de registros para obtener las relaciones intermaxilares (Figura 6).

¿Cómo empezamos el proceso de impresión 3D? Llegados a este punto, a partir de la toma de registros de los maxilares podremos enviar el archivo en formato “STL” y transformarlo en un modelo de impresión adaptado con el programa de Medit llamado “Model Builder”, que nos brinda una estructura idónea de modelos clásicos con base y articulados para ser impresos.

Posteriormente, la podremos enviar a la impresora SprintRay de dos maneras distintas según el gusto del usuario y de acuerdo con la experiencia de cada uno:

• Envío a la nube: pudiendo así realizar la impresión de los modelos del maxilar inferior y superior bajo un programa de IA absolutamente cómodo para el usuario que permite acomodar los archivos de la mejor manera posible para una impresión rápida y óptima. En este caso, los archivos de escaneados deben guardarse en el PC y posteriormente subidos o adjuntados al programa de Sprintray Cloud

• Sistema “Raynware”: permite desde la misma aplicación Medit que los archivos de escaneo sean subidos al programa de impresión sin ningún paso intermedio. En este caso, debemos colocarlos de modo que tengan los mejores soportes para una buena retención en la plataforma de impresión. Este programa nos da la posibilidad de realizar los soportes de fijación del diseño y la ubicación espacial en la plataforma digital que imprimirá el archivo según nuestra experiencia y aprendizaje.

Ambos métodos dan la posibilidad de obtener los maxilares preparados para confeccionar una placa base para un rodete de mordida clásico que proporcione:

• El registro de mordida.

• La dimensión oclusal.

• La relación entre los maxilares.

• El tamaño futuro de los dientes y prótesis en relación con los labios del paciente (perfil facial).

38 eldentistamoderno marzo 2023 FLUJO DIGITAL EN PRÓTESIS COMPLETA
5 6 7

Una vez obtenidos ambos maxilares impresos y teniendo la placa base con un registro de cera adecuado, marcaremos con algún tipo de rotulador o composite de color algunos puntos de referencia en la cera que vamos a escanear (ver foto sugerida) y escaneamos ambos registros en la secuencia de mordida.

Al obtener todos estos datos según las técnicas de escaneo bajo el protocolo de secuencia que nos guía el programa de Medit, podremos enviarlo al laboratorio para la elaboración final de la prótesis (Figura 7).

¿Qué diseño recibimos de la prótesis completa en nuestro dispositivo móvil?

El laboratorio elabora la prótesis digitalmente y recibimos las prótesis diseñadas para nuestra inspección y control para el chequeo del diseño propuesto.

Esto mismo lo podemos apreciar en nuestro dispositivo móvil a través del Exocad viewer o en nuestro ordenador para chequear y realizar, si es necesario, cualquier cambio.

Al recibir estas imágenes y aprobar el diseño, conseguimos el archivo STL para poder enviarlo al sistema de impresión de Sprintray para imprimirlo en Raynware cloud o en el Raynware de nuestra aplicación del ordenador (Figura 8).

• Uno de los archivos pertenece a las piezas dentarias que pueden estar agrupadas en un solo bloque o separadas por segmentos; siendo lo que más recomiendo para obtener un mejor ajuste, y la posibilidad de mejor adaptación a la placa base de la prótesis. Estas piezas serán las que cementaremos a la base impresa de la dentadura (Figura 9).

¿Qué hacemos entonces con el archivo STL de la prótesis completa?

Una vez recibido ese archivo, lo descargamos en nuestro ordenador y observaremos que en realidad son dos archivos separados:

• El segundo archivo constará de la base de la prótesis con su anatomía detallada, tal y como se hace tradicionalmente en los sistemas de diseño de prótesis en cera. En este caso, los detalles serán digitalizados imitando la encía y las raíces. Más adelante podremos darle más detalles con maquillajes y colores que imiten la encía de una forma más natural (Figura 10).

¿Cómo comenzamos el proceso de impresión de la dentadura?

Estos archivos que tenemos en nuestro ordenador son enviados al programa de impresión Sprintray Cloud para que a través un proceso de IA, puedan ser adaptados y colocados en la plataforma virtual que aparece en la pantalla del programa (Figura 11).

39 eldentistamoderno marzo 2023
8 9 10

tecnología 3D

Al iniciar nuestro proceso de impresión, nos aparecerá el tiempo que nos va a tomar, la cantidad de resina que se utilizará y otros datos estadísticos que posteriormente se guardarán en el archivo de Raynware Cloud.

Para la confección de las piezas dentarias, Sprintray cuenta con resina de desgaste muy similar al del diente natural. Adjunto fotografía de la botella de resina específica para piezas dentarias o coronas dentarias (Figura 13).

Previamente, deberemos clasificar qué es lo que queremos imprimir y seguir los pasos intuitivos que el programa nos va determinando cómo son:

• El nombre del paciente o del trabajo que vamos a imprimir.

• El tipo de material que será utilizado para la impresión de la base o de los dientes.

• La calidad de la terminación de la superficie, si la queremos más suave para estructuras con un acabado más detallado o por el contrario una superficie más rápida de imprimir, pero menos detallada.

• El tipo de soporte que fijará la estructura a la plataforma.

• Otros detalles que podremos customizar o dejar tal cual aparece de forma estándar según nos marque el programa (Figura 12).

Para la base de la prótesis, existen diferentes colores e intensidades que dan un cromatismo similar dependiendo del color de encía que elijamos.

Final de impresión

Cuando finalice la impresión, la plataforma se elevará y daremos por finalizado el trabajo. Solamente deberemos retirar los soportes de fijación que une la prótesis a la plataforma de impresión. En el caso de haber utilizado empleado el sistema de impresión de Raynware Cloud, el sistema de fijación es una malla o red fácil de quitar a mano, lo que facilita y mejora muchísimo el proceso de la terminación de la prótesis, a diferencia de otros sistemas que deben ser retirados con alicates y cortadores por ser muy gruesos y que además dejan residuos de esa fijación en las estructuras protésicas, obligándonos a tener que pulirlas. Es por ello por lo que se agradece al sistema de fijación de Raynware Cloud, ya que nos brinda una malla muy fácil de quitar sin dejar ningún residuo complicado para su eliminación (Figuras 14 y 15).

40 eldentistamoderno marzo 2023 FLUJO DIGITAL EN PRÓTESIS COMPLETA
11 12 13

Ahora nos toca realizar los pasos de post procesados.

Lavaje. Pro Wash and Dry

Los restos de resina que tiene la estructura impresa deben ser eliminados y lavados a conciencia. Para ello, Sprintray cuenta con una lavadora y secadora automática que permite y garantiza que la pieza impresa esté libre de restos de resina, lista para su polimerización y acabado final.

SprintRay Pro Wash and Dry es el primer sistema de lavado automatizado multietapa diseñado para la impresión dental 3D ofreciendo la velocidad, limpieza y facilidad de uso que exige el flujo de trabajo digital.

Gracias a su motor de alta potencia, su hélice de gran precisión y el innovador método de suministro de alcohol, este sistema puede completar un lavado y secado completo de dos etapas en menos de 9 minutos, permitiendo al usuario dentista o auxiliar no interferir manualmente en el proceso (Figura 16).

Curado y post procesado en Pro Cure 2

Las piezas deben ser curadas con una luz ultravioleta que permita realizar el cierre de microporos y darle a la prótesis la textura y uniformidad necesarias para obtener una superficie adecuada en rigidez y/o flexibilidad según las características del material elegido.

Así nace en el protocolo digital la Pro Cure 2, un programa fácil y automatizado de menos de 5 minutos que permite regular la intensidad y duración del efecto de luz ultravioleta y el calor dependiendo del material a curar (Figura 17).

41 eldentistamoderno marzo 2023
14 15 16

tecnología 3D

Ahora nos toca ensamblar ambas estructuras para poder realizar el cementado con la misma resina que tenemos en la cubeta y volver a colocarlo en la Pro Cure para su fijación interna o cementado. Posteriormente, podremos realizar un pulido con pastas de pulir clásicas de prótesis completa tradicional y cepillos de pulido de diferentes grosores hasta llegar al cepillo formado por telas a modo de felpas que le dan un brillo final especial. Si queremos, podremos terminar el trabajo abrillantando (glaseando) con un Glaze de la marca GC, y polimerizar nuevamente con la ProCure o con una lámpara común de polimerizar composites que le de una terminación más brillante (Figura 19).

Terminado de la prótesis. Ensamblaje Ya tenemos la base de la prótesis y los dientes por separado (Figura 18).

Cabe destacar que existen distintos tinciones o composites fluidos que podemos utilizar para personalizar aún más la terminación de la prótesis. En conclusión, si bien el flujo digital de impresión 3D en prótesis completas puede parecer complejo y prolongado, la automatización de procesos con la que cuenta la última tecnología ha supuesto un avance que ha llegado para quedarse e implantar las mejores técnicas en aquellas clínicas dentales que se lancen a esta nueva y maravillosa aventura.

Conclusiones

Aunque el flujo digital de la impresión 3D en prótesis completas pueda parecer complejo y prolongado, la automatización de procesos con la última tecnología ha supuesto un gran avance que ha venido para quedarse e implementar las mejores técnicas en aquellas clínicas dentales que se embarcan en esta nueva y maravillosa aventura. 

42 eldentistamoderno marzo 2023 FLUJO DIGITAL EN PRÓTESIS COMPLETA
17 18 19

SEPE S 52

VALENCIA 23

12-14/OCT.

a somos digitales. Y ahora ¿que?

a somos digitales. Y ahora, ¿qué?

Jun IWATA Javier VASQUEZ

Markus HÜRZELER Luca LAVORGNA

Josef KUNKELA

Stefano GRACIS

Daniel EDELHOFF

Ignazio LOI

Giovanni ZUCCHELLI

Domenico MASSIRONI

OCLUSIÓN Y ARTICULADORES CARILLAS SOLUCIONES FRESADAS PERIO/PROS PRÓTESIS APNEA ANALÓGICO Vs. DIGITAL ESTÉTICA ROSA Vs. BOPT CIRUGÍA GUIADA DE IMPLANTES DIGITAL CIRUGÍA / IMPLANTES

PREPARACIONES DENTARIAS MAESTROS DE LA PROSTODONCIA GESTIÓN

Tarifa superreducida HASTA 30 DE ABRIL

eldentistamoderno marzo 2023
APP del congreso disponible en:

“SOCE ZARAGOZA 2023

PRESENTARÁ LAS ÚLTIMAS NOVEDADES EN LA INDUSTRIA, LA CLÍNICA Y EL LABORATORIO A NIVEL DIGITAL”

Los flujos digitales están cambiando la forma de entender la Odontología y las bases de la profesión. Por ello, el IX Congreso Anual de la Sociedad Española de Odontología Digital y Nuevas Tecnologías (SOCE), que tendrá lugar en Zaragoza los días 28 y 29 de abril, será una oportunidad perfecta para que todos los equipos, tanto a nivel de clínica como de laboratorio, se pongan al día de las últimas novedades en materia de digitalización. El presidente del Congreso SOCE Zaragoza 2023, el Dr. Fernando Loscos, junto al presidente de SOCE, el Dr. Rafael Vila, nos desvelan en esta entrevista los aspectos más destacados de esta cita científica.

entrevista ENTREVISTA 44 eldentistamoderno marzo 2023
Dr. Fernando Loscos, presidente del Congreso SOCE Zaragoza 2023, y Dr. Rafael Vila, presidente de SOCE Dr. Fernando Loscos. Dr. Rafael Vila.

 DM.- ¿Cuál es el objetivo del IX Congreso SOCE Zaragoza? ¿Qué novedades ofrecerá esta cita científica?

Dr. Fernando Loscos (Dr. F.L.).- El objetivo del congreso es presentar las últimas novedades en la industria, en la clínica y en el laboratorio a nivel digital. Desde luego va a ser el marco ideal tanto para los clínicos como para los técnicos para estar al día en este apasionante reto digital en el que nos encontramos inmersos y que nadie se quiere perder o no debería perderse.

A fecha de hoy, disponemos de 70 ponentes clínicos y técnicos y 40 casas comerciales que nos ofrecerán todas las tecnologías existentes en la actualidad y cómo utilizarlas en las diferentes especialidades odontológicas, ya que se trata de un congreso transversal que toca todas las diferentes ramas de la odontología y su relación con los laboratorios. Además, el escenario en el que se va a realizar, el Palacio de Congresos de la Expo, y la ciudad de Zaragoza, con su inmejorable ubicación, nos proporcionan un marco extraordinario para acoger a todos los asistentes.

 DM.- ¿Cuáles será los bloques temáticos que centrarán el programa científico de SOCE Zaragoza 2023?

Dr. F.L.- El programa está abierto tanto a clínicos como a técnicos y abarcará prácticamente todas las especialidades odontológicas y su relación con el laboratorio. Desde el diagnóstico, la elaboración del plan de tratamiento, guías clínicas para la realización de éste y la comunicación con el laboratorio para la terminación del tratamiento... También se conocerá el uso de los diferentes programas, escáneres intraorales, impresoras, fresadoras, etc. En definitiva, el perfeccionamiento de los tratamientos multidisciplinares gracias a la digitalización. Además de la existencia de talleres y speech corner que nos permitirán disfrutar de la parte práctica de todo esto.

Sin olvidarnos tampoco del apartado de gestión, de suma importancia y al que no dedicamos, en muchas ocasiones, la importancia que se merece. Además contaremos con las diferentes universidades, alumnos de grado, postgrado y diferentes profesionales que, mediante el apartado de comunicaciones y posters, nos mostrarán toda su experiencia e investigación en este área digital.

 DM.- En este sentido, ¿podría indicarnos algunos de los ponentes que intervendrán en SOCE Zaragoza 2023?

Dr. F.L.- Son todos ponentes con gran experiencia en el tema digital, nacionales e internacionales, que van a superar los 70 a nivel clínico y técnico, y como presidente del congreso no querría poner a nadie por encima de otro. Si observáis el programa en la web lo entenderéis y la mayoría de ellos os resultarán familiares.

 DM.- Dado que la digitalización implica a todo el equipo de la consulta dental, ¿a qué profesionales se dirige este encuentro?

Dr. F.L.- No sólo se dirige a los clínicos y técnicos, como ya he mencionado, sino a todo lo que le rodea. Al personal de recepción y clínico, con los programas de gestión; a higienistas y auxiliares, con el control de los escáneres intraorales y el manejo de las imágenes, el envío al laboratorio, etc. A los técnicos, que van por delante de los clínicos en el uso de esta tecnología, que nos realizan los diseños, desde el encerado digital hasta la finalización de la prótesis.

 DM.- En cuanto a la exposición comercial, ¿qué novedades podrán ver los asistentes en este espacio?

Dr. F.L.- Va a ser el escenario ideal para conocer todo lo que la industria nos proporciona a nivel tecnológico, como adquisición de imágenes tanto extraorales como intraorales, radiológicas, programas informáticos clínicos y técnicos y la maquinaria necesaria para llevar a cabo los trabajos, impresoras, fresadoras... “

45 eldentistamoderno marzo 2023
El programa está abierto tanto a clínicos como a técnicos y abarcará prácticamente todas las especialidades odontológicas y su relación con el laboratorio
Dr. Fernando Loscos, presidente del Congreso SOCE Zaragoza 2023

 DM.- A día de hoy, ¿cuántas empresas han confirmado su participación en SOCE Zaragoza 2023?

Dr. F.L.- Aproximadamente unas 40, pero aún faltan dos meses para el congreso, por lo que es lógico pensar, y dado el interés del congreso, que este número aumente.

 DM.- SOCE Gestión volverá a estar presente en esta nueva edición. ¿Cuáles son los temas principales que se tratarán en este apartado?

Dr. F.L.- Sí volverá a estar y es un pilar muy importante. En este momento estamos terminando de cumplimentar el programa que en breve estará publicado.

 DM.- La digitalización y las nuevas tecnologías ya forman parte del día a día de la mayoría de los profesionales de la Odontología. ¿Qué les diría a aquellos que todavía no han iniciado este camino de la Odontología digital?

Dr. Rafael Vila (Dr. R.V.).- Que les toca remar contracorriente. Los flujos digitales están cambiando la manera misma de entender la Odontología y la aplicación a través de dichos flujos transforma por sí misma estas bases fundamentales de nuestra profesión. Toca reciclarse a quienes se queden rezagados y no quedarse en el lado equivocado de la brecha digital. Para eso está también SOCE, para ayudar y no dejar a nadie atrás, en cuanto a clínicas; los laboratorios ya hace tiempo que se digitalizaron.

 DM.- La digitalización se ha convertido en un pilar fundamental en el tratamiento que se ofrece a los pacientes en la clínica dental. ¿En qué soluciones y herramientas ponen el foco desde SOCE para ofrecer a los profesionales y ayudarles en la transformación digital de su clínica?

Dr. R.V.- Se hace difícil elegir una única aplicación de la tecnología en la consulta. Al ser la Sociedad transversal, desde SOCE nos centramos en los tratamientos multidisciplinares y en todas las áreas que implique dicho tratamiento. También en lo que corresponde a la experiencia clínica del paciente y a la propia gestión de la clínica dental y del laboratorio.

 DM.- En cuanto a formación, en 2022 iniciaron los “SOCEHub: Thinking the Future”. ¿Qué nuevos encuentros tendrán lugar este año?

Dr. R.V.- Hemos desarrollado para nuestros socios un atractivo programa formativo anual que incluye no sólo el Congreso de Zaragoza, sino también los eventos online SOCE Digital Day y SOCE Global, así como una serie de webinars mensuales bajo el paraguas de los SOCE Talks, siempre con grandes referentes en cada una de las áreas. 

ENTREVISTA 46 eldentistamoderno marzo 2023
entrevista
Los flujos digitales están cambiando la manera misma de entender la Odontología y la aplicación a través de dichos flujos transforma por sí misma estas bases fundamentales de nuestra profesión. Toca reciclarse a quienes se queden rezagados y no quedarse en el lado equivocado de la brecha digital ”
Dr. Rafael Vila, presidente de SOCE
El Palacio de Congresos de la expo en la ciudad de Zaragoza acoge este evento. Marina Olea Fco. Javier Herrera David Jiménez

Información para decidir

Solo aquella información basada en la responsabilidad y la calidad nos hace libres para tomar las mejores decisiones profesionales. En ConeQtia, entidad colaboradora de CEDRO, garantizamos contenido riguroso y de calidad, elaborado por autores especializados en más de 30 sectores profesionales, con el aval de nuestros editores asociados y respaldando el uso legal de contenidos. Todo ello con la nalidad de que el lector pueda adquirir criterio propio, facilitar la inspiración en su labor profesional y tomar decisiones basadas en el rigor. Por este motivo, todos los editores asociados cuentan con el sello de calidad ConeQtia, que garantiza su profesionalidad, veracidad, responsabilidad y abilidad.

Align TechnologyINVISALIGN SMILE ARCHITECT™
coneqtia.com
Con la colaboración de:

Siguiendo la evolución de la Odontología para el profesional del sector llamado a construir el futuro

ENTREVISTA

IDS 2023

• Markus Oster, Vicepresidente de Gestión de Ferias de Koelnmesse, y Dr. Markus Heibach, Director Ejecutivo de la GFDI Gesellschaft zur Förderung der Dental-Industrie mbH y Director Ejecutivo de la VDDI

PENSANDO EN EL FUTURO Beneficios y aplicaciones del blockchain en el sector de la salud

ENTREVISTA

• Dr. Carlos Torres Martín, odontólogo de atención primaria y Doctorando del Programa en Salud y Psicología de la UOC

FORMACIÓN

La fotografía, una herramienta necesaria en una clínica dental Por Marcel Martín Barceló

Comunidad Joven Sepa. Young Next Generation 23-25/MAR/2023 100% Online Inscríbete de forma gratuita en sepajoven.com Evento con traducción simultánea inglés-español / español-inglés Programa para Colaboradores internacionales Colaboradores nacionales ASIAN PACIFIC SOCIETY OF PERIODONTOLOGY DENTISTAS HIGIENISTAS

IDS 2023

“100 AÑOS DE LA IDS, DANDO FORMA AL FUTURO DENTAL”

Markus Oster, Vicepresidente de Gestión de Ferias de Koelnmesse, y Dr. Markus Heibach, Director Ejecutivo de la GFDI Gesellschaft zur Förderung der Dental-Industrie mbH, empresa comercial de la VDDI y Director Ejecutivo de la Asociación de la Industria Dental Alemana (VDDI)

La 40ª edición de la International Dental Show (IDS 2019), que tendrá lugar del 14 al 18 de marzo en Colonia (Alemania), concentrará todas las tendencias e innovaciones de la industria dental de la mano de más de 1.800 expositores de 60 países. Así lo avanzan en esta entrevista Markus Oster, Vicepresidente de Gestión de Ferias de Koelnmesse, y el Dr. Markus Heibach, Director Ejecutivo de la GFDI Gesellschaft zur Förderung der Dental-Industrie mbH, empresa comercial de la VDDI y Director Ejecutivo de la Asociación de la Industria Dental Alemana (VDDI), que nos explican cuáles son las previsiones y novedades para esta edición en la que la IDS celebra su 100 aniversario.

industria dental 50 eldentistamoderno marzo 2023 ENTREVISTA
Markus Oster. Dr. Markus Heibach.

 DM.- Este año la IDS celebra un doble aniversario, ya que no sólo tendrá lugar su 40ª edición, sino que además la feria celebrará su centenario. ¿Cuáles han sido los hitos más importantes del certamen a lo largo de su historia?

Dr. Markus Heibach (Dr. M.H.).- La industria dental alemana marcó su hito más importante en el año 1923. Fue entonces cuando se celebró la primera IDS, concretamente en el Jardín Zoológico de Berlín. Esto significa también que este año celebramos un doble aniversario. Es el 40º aniversario de la IDS y, al mismo tiempo, el aniversario de los “100 años de la IDS”. Por eso, nuestro lema es “100 años de IDS - dando forma al futuro dental”. En este sentido, partimos de una base sólida. Las empresas de la industria dental alemana ya se unieron en 1916 para formar la Asociación de la Industria Dental Alemana, predecesora de la actual Asociación de la Industria Dental Alemana. En plena Primera Guerra Mundial empezaron a buscar la posibilidad de un intercambio cosmopolita e internacional. El objetivo era que empresas de Europa y de todo el mundo presentaran sus conceptos y productos innovadores a un amplio público de odontólogos y protésicos dentales con la participación del comercio dental, siguiendo el principio olímpico de la competencia leal. La IDS se originó a partir de este concepto.

Creció de 1923 a 1937 y experimentó un desarrollo positivo a pesar de las difíciles circunstancias. La visión original resultó acertada, porque la competición

Dr. Dr. Markus Heibach, Director Gerente GFDI; Klaus Bartsch, Vicepresidente VDZI; Dr. Henner Bunke, CED; Dra. Julinane Winkelmann, Observatorio Europeo de Sistemas y Políticas de Salud; Mark Stephen Pace, Presidente del Consejo VDDI; Susanne Schöne, Moderación; Oliver Frese, Director Gerente Koelnmesse GmbH; Markus Oster, Business Unit Manager Koelnmesse GmbH, Congress-Centrum Nord, Rheinsaal.

siguiendo la evolución de la Odontología 51 eldentistamoderno marzo 2023
Más de 1.800 expositores de todo el mundo presentarán en Colonia sus productos dentales y soluciones en la 40ª edición de la IDS ”
Dr. Markus Heibach
Hemos conseguido convertir la IDS en la plataforma más exitosa de la industria dental ”
Markus Oster

industria dental

internacional liberó la fuerza creativa y aceleró las innovaciones en el campo de la odontología. IDS causó sensación ya en 1937, con el primer acrílico para prótesis dentales a base de metacrilato que supuso una gran mejora de la comodidad para los usuarios de prótesis totales. Después, la Segunda Guerra Mundial paralizó la IDS.

Tras un exitoso reinicio en el año 1951, la IDS creció y creció, y fue acogida por numerosas ciudades feriales de toda Alemania. Tras las buenas experiencias vividas en Colonia, la VDDI ha permanecido finalmente en la metrópoli del Rin desde 1992 y fundó allí una sociedad mercantil denominada Gesellschaft zur Förderung der Dentalindustrie, GFDI mbH. Desde 1995, esta última organiza cada dos años la IDS, cuya puesta en escena corre a cargo de la organización ferial de Colonia, la Koelnmesse.

Entretanto, la IDS se distingue por un altísimo grado de internacionalidad. Por primera vez en 1999, más empresas internacionales presentaron sus innovaciones en la IDS que empresas alemanas y en 2015 acudieron más visitantes internacionales que alemanes. Esto subraya el hecho de que la internacionalización ha vuelto a experimentar un impulso adicional desde el cambio de milenio y la feria ha acabado convirtiéndose en lo que es hoy: la feria líder mundial de la comunidad dental, como plataforma para las innovaciones y las tendencias del mercado, asegura el éxito sostenible de todo el sector.

Así pues, la IDS es hoy el mercado más completo para los expositores y sus clientes. Es el escaparate de la innovación del sector, que presenta cada dos

años sus nuevos productos y soluciones a un público internacional de alta calidad.

Ser una feria líder es una gran ambición. La IDS lleva décadas cumpliendo esta ambición, fomentando así la competencia, la innovación y el negocio en su conjunto de la industria dental y demostrando ser tan sólida como una roca en tiempos de crisis. Más de 1.800 expositores de todo el mundo presentarán en Colonia sus productos dentales y soluciones en la 40ª edición de la IDS. Bienvenidos a “100 años de IDS - ¡dando forma al futuro dental!”.

Markus Oster (M.O.).- La Koelnmesse es la sede de la IDS desde hace más de 30 años, por lo que el próximo aniversario es, naturalmente, muy especial para nosotros. La Asociación de la Industria Dental Alemana (VDDI) y desde 1995 la GFDI, Gesellschaft zur Förderung der Dental-Industrie mbH, la empresa comercial de la Asociación de la Industria Dental Alemana (VDDI), decidieron en 1992 dar a la IDS una sede permanente en Colonia y confiar a la Koelnmesse la organización de la feria.

Estamos muy orgullosos y agradecidos por la confianza depositada entonces en nuestra empresa ferial que ya dura 30 años. Juntos, a lo largo de estas tres décadas, hemos conseguido convertir la IDS en la plataforma más exitosa de la industria dental.

 DM.- A falta de pocas semanas, ¿cuántas empresas han confirmado su participación en la IDS 2023?

M.O.- Actualmente registramos más de 1.800 expositores de 60 países, incluidas 15 participaciones de grupos de 13 países con unas 400 empresas representadas. Pero cada día se reciben más consultas y solicitudes. Estamos en el buen camino y viviremos una IDS 2023 fuerte, que confirmará su posición como plataforma internacional líder del sector.

 DM.- Teniendo en cuenta el alcance internacional del evento, ¿qué países estarán representados por expositores en la feria?

M.O.- El alto grado de internacionalidad es una característica destacada de la IDS y, con una cuota de expositores extranjeros en torno al 75%, el certamen de 2023 también lo pone de relieve. Como ya he mencionado, las empresas inscritas proceden de 60 países; además de la participación mayoritaria de Alemania, los participantes expositores internacionales más fuertes proceden de Italia, República de Corea, Francia, Japón, Suiza, España, Turquía y Estados Unidos.

52 eldentistamoderno marzo 2023 ENTREVISTA

 DM.- Respecto a su oferta, ¿qué sectores de la industria dental estarán representados en la IDS 2023?

M.O.- La IDS representa una vez más a todo el amplio espectro del sector dental. Por supuesto, esto incluye la sección de medicina y tecnología dental, protección y control de infecciones, así como servicios, sistemas y medios de información, comunicación y organización.

 DM.- ¿A qué perfil de público se dirige la oferta expositiva de la próxima edición de la IDS?

M.O.- Como feria puramente comercial, la IDS se centra en las clínicas dentales, dentistas, personal de la consulta, protésicos dentales, laboratorios dentales, industria, proveedores de servicios, investigación y desarrollo, así como en jóvenes dentistas y auxiliares, por supuesto, incluyendo a aprendices y estudiantes.

 DM.- En este sentido, ¿qué previsiones de asistentes manejan para esta 40ª edición de la IDS?

M.O.- La venta de entradas está funcionando muy bien, por lo que esperamos una muy buena respuesta por parte de los visitantes. Esperamos igualar prácticamente la asistencia en prepandemia.

 DM.- ¿Qué ventajas ofrecerá este año la IDS a sus visitantes?

Dr. M.H.- La IDS ofrece a los visitantes de todo el mundo todas sus ventajas clásicas: todas las tendencias e innovaciones de productos de la industria dental se encuentran concentradas en los pabellones feriales. Aquellos que observen atentamente y utilicen literalmente sus sentidos podrán probar los productos y recabar información adicional de los expertos in situ, disponiendo así de una base mucho más fundamentada para tomar decisiones de inversión en comparación con aquellos que no participen. Esto les dará una ventaja competitiva.

De este modo, los visitantes podrán disfrutar de todas las ventajas de la renombrada ciudad ferial de Colonia. Su accesibilidad desde todo el mundo es excelente. Los visitantes pueden llegar rápidamente a la ciudad desde cualquier lugar y encontrar un alojamiento confortable, para lo cual siempre pueden solicitar ayuda a través de ids-cologne.de. También más allá de los pabellones feriales, Colonia y la región circundante ofrecen un ambiente único. La entrada para la IDS da derecho al mismo tiempo a utilizar gratuitamente los autobuses y trenes regionales, de modo que el visitante de la feria puede desplazarse automáticamente con libertad en un amplio radio.

La feria física en los pabellones se ve reforzada por formatos digitales contemporáneos que probablemente aún no han penetrado en la conciencia general de cada individuo y merecen por ello una mención especial: Este año, la IDS se celebra como evento híbrido, lo cual supone una valiosa mejora. Todos los visitantes profesionales pueden establecer contactos a través de la plataforma en línea IDSconnect. Pueden mantenerse informados sobre los productos y soluciones de sistema actuales, seguir seminarios web, conferencias de prensa y eventos, y sintonizar directamente con lo que ocurre en la feria física. Especialmente valiosa es la interacción personal con otros participantes en la IDS a través de IDSconnect. Por último, pero no por ello menos importante, permite preparar o hacer un seguimiento de los encuentros personales en los pabellones. Los videos tutoriales ilustrativos ayudan a los usuarios a dominar con rapidez y seguridad las múltiples posibilidades de IDSconnect.

 DM.- Además de dar conocer las últimas novedades de la industria dental, ¿cómo contribuirá la IDS 2023 a informar a los profesionales sobre los conceptos y herramientas más actuales para aplicarlos a su día a día?

Dr. M.H.- En los últimos dos a cuatro años hemos observado una gran actividad en los departamentos de investigación y desarrollo de la industria dental alemana. En consecuencia, los canales de innovación están hasta arriba de trabajo. El principal objetivo de la IDS es explicar a los dentistas, protésicos y sus equipos cómo pueden aplicar estas innovaciones para el bienestar de los pacientes y, al mismo tiempo, hacer más cómodas sus propias rutinas de trabajo cotidianas. Tomemos la lupa como ejemplo práctico. Cada vez más consultas y laboratorios las necesitan, pero ¿qué modelo es adecuado para cada indicación y para cada usuario de lupas? En algunos casos, se ofrecen modelos diferentes para los odontólogos generalistas que para los que se utilizan en los campos de la endodon-

siguiendo la evolución de la Odontología 53 eldentistamoderno marzo 2023
Todos los visitantes profesionales pueden establecer contactos a través de la plataforma en línea IDSconnect
Dr. Markus Heibach

industria dental

cia, la implantología o la ortodoncia. Algunos usuarios de gafas necesitan que se adapten a su vista individual. Ya se trate de un sistema óptico kepleriano o galileano, de un sistema de iluminación por cable o inalámbrico, de una montura de metal o de plástico: como feria líder mundial, la IDS ofrece la mayor selección, la información más completa y, por tanto, la mejor base para tomar la decisión de inversión correcta. Además, los expertos de los expositores asesoran a los visitantes directamente en el stand de la feria. También explican cómo el usuario puede aprovechar de forma óptima las ventajas de los productos consolidados e innovadores. Las consultas personales in situ se complementan con seminarios web y otras herramientas digitales a través de la plataforma en línea IDSconnect, para la “mejor práctica” en las consultas y laboratorios, disponible ya el lunes después de la IDS.

 DM.- Háblenos de IDSconnect. ¿Qué ofrecerá esta plataforma digital a los participantes y asistentes?

M.O.- El objetivo de IDSconnect es mejorar aún más la participación física en la feria con nuevos servicios y formatos digitales y hacerla así más valiosa para todos los participantes del sector, ofreciendo un valor digital añadido a través de servicios in situ y con un beneficio adicional ampliando la comunidad y el tiempo de asistencia más allá de los días de la feria. Este enfoque híbrido permite a los visitantes de todo el mundo, y especialmente a los posteriores a la propia feria, descubrir perfiles y productos atractivos de la feria y conectar con socios de contacto a través de canales innovadores. Además de la exposición física, la plataforma digital IDSconnect ofrece información sobre productos y soluciones de sistemas, y permite la retransmisión en streaming de contenidos preproducidos de todo tipo, por ejemplo, sesiones prácticas o seminarios web, eventos, así como la interacción individual con responsables de la toma de decisiones del sector.

DM.- Actualmente, ¿cuál es el papel de la digitalización en la industria dental internacional?

Dr. M.H.- Como industria, el sector dental conoce la digitalización al dedillo. Se aplica en la industria para optimizar los procesos de producción y las cadenas logísticas. Sobre todo, el uso de flujos de trabajo digitales en las consultas y los laboratorios es nuevo desde el cambio de milenio.

Ambos colaboran intensamente en dichos flujos de trabajo. Poco a poco, han ampliado considerablemente las opciones de colaboración. Así, las distancias

desempeñan un papel cada vez menor en el mundo digital actual: la consulta puede buscar el laboratorio adecuado en un amplio radio en función del caso concreto. Y viceversa, el laboratorio puede suministrar trabajos protésicos a consultas situadas en un amplio radio: ¡ha surgido un mercado global! Como alternativa a las producciones propias, existen diferentes servicios de pedidos en amplias secciones. Por ejemplo, un laboratorio puede enviar los registros digitales realizados en la consulta y sus documentos modelo directamente a un fabricante centralizado y se devuelven los marcos cerámicos para su posterior procesamiento individual. Los laboratorios que disponen de su propia máquina también ofrecen en parte capacidades de producción gratuitas a otros laboratorios dentales. Además, en el caso de un laboratorio colaborador o de un centro de producción de este tipo, el protésico dental también puede encargar artículos directamente a la industria dental.

Cada vez son más los usuarios que digitalizan rigurosamente sus métodos de trabajo. Las impresiones realizadas con el escáner intraoral y la sección de indicación ampliada están ganando terreno. Es posible realizar exploraciones de todo el maxilar o de secciones individuales del maxilar, exploraciones de la mucosa y la combinación de varias exploraciones distintas. Las fronteras entre el tratamiento extremadamente subgingival y entre la traducción directa de un escaneado intraoral en movimientos funcionales, como se necesita, por ejemplo, para las “prótesis totales digitales”, se están fusionando.

54 eldentistamoderno marzo 2023 ENTREVISTA

Debido a las ofertas cada vez más diferenciadas de la industria dental, la tendencia se dirige hacia un segundo escáner: dos aparatos con diferentes potencias para el aprovechamiento óptimo de todo el espectro de aplicaciones. También estamos observando indicaciones adicionales ampliadas en el apartado del reconocimiento de caries. De este modo, en el futuro los escáneres intraorales apoyarán con mayor frecuencia al odontólogo durante el examen inicial de los pacientes.

Paralelamente a la impresión digital, los elastómeros siguen siendo indispensables y se siguen desarrollando consecuentemente: mayor resistencia al desgarro, mayor fidelidad dimensional y mayor hidrofilia.

 DM.- ¿Dónde se sitúan actualmente las principales tendencias de la IDS 2023?

Dr. M.H.- Otro campo clásico/análogo son los materiales de obturación, que ahora ofrecen aún más opciones: la vida útil de los ionómeros de vidrio está aumentando con la ayuda de barnices de composite protectores. Los nuevos sistemas adhesivos de composite prescinden de la fotopolimerización, los composites híbridos totalmente sin adhesivo.

También surgen nuevas posibilidades en las distintas especialidades de la odontología, como la implantología, la endodoncia o la ortodoncia. Gracias a novedosos procesos de templado térmico, las limas de endodoncia son cada vez más flexibles y permiten una instrumentación segura en anatomías

complejas de conductos radiculares. En implantología, la integración en el software de más cuerpos de escaneado está impulsando los flujos de trabajo digitales y la planificación retrospectiva relacionada con la implantología. En el ámbito de la ortodoncia, los robots dobladores se encargan cada vez con más frecuencia de los procesos digitales desde la consulta hasta el laboratorio.

Un signo visible del modelo a seguir en la técnica dental es el grado de digitalización: en comparación, en Alemania el 75% de los laboratorios ya utilizan escáneres extraorales; los escáneres intraorales se utilizan en alrededor del 10-15% de las consultas (Atlas Dental, GFDI 2018). El laboratorio maestro proporcionará en el futuro ofertas de sustancias aún más diferenciadas. Porque los espectros de aplicación de los óxidos de circonio translúcidos y las vitrocerámicas más resistentes se solapan cada vez con más frecuencia. También los diferentes plásticos se están convirtiendo en una alternativa gracias a la impresión 3D. De ahí que casi siempre se pueda elegir entre varias sustancias para una misma indicación.

En un futuro próximo, la inteligencia artificial abrirá sin duda nuevas posibilidades a distintas secciones del laboratorio dental: la producción CAM permite optimizar el anidado y ahorrar recursos. La estética deseada puede lograrse más fácilmente gracias a tintes mezclados automáticamente a la perfección. Se pueden obtener los mejores resultados en dientes impresos utilizando una mezcla específica de diferentes componentes de color. Estas exigentes aplicaciones de inteligencia artificial requieren la estrecha colaboración entre protésicos dentales experimentados y empresas de la industria dental. Por ello, el intercambio profesional y personal de ideas es aún más importante en este apartado.

 DM.- ¿Qué objetivos se han fijado para la IDS 2023?

M.O.- Los años pasados fueron un gran reto para todos, pero juntos también encontramos el camino para superar la crisis y vivir una IDS impresionante en septiembre de 2021. Hemos dado un ejemplo importante en y para la industria dental y hemos demostrado que las crisis también brindan oportunidades, así como que hay que ser activo y contundente para salir fortalecido de las fases difíciles. Pero, como ya he dicho, en 2021 la IDS se celebró en condiciones especiales: ahora queremos dar continuidad a la IDS 2019 y reforzar el papel de liderazgo del evento para las próximas décadas. 

siguiendo la evolución de la Odontología 55 eldentistamoderno marzo 2023

pensando en el futuro

BENEFICIOS Y APLICACIONES DEL BLOCKCHAIN EN EL SECTOR DE LA SALUD

El uso de la tecnología blockchain, cuya aplicación incrementa el nivel de confiabilidad y seguridad de la información, está causando un gran impacto en numerosos ámbitos, incluido el sanitario. A lo largo de este artículo podrás conocer en qué consiste la tecnología blockchain y cuáles son sus aplicaciones y beneficios para el sector sanitario y, más concretamente, para la Odontología, sus profesionales y sus pacientes.

La digitalización del sector sanitario ya ha comenzado, pero aún tiene un largo camino por recorrer. En este sentido, la implementación de tecnologías como Big Data o Inteligencia

Artificial serán claves para fomentar ecosistemas que permitan ahorrar costes de la gestión diaria. En este sentido, Europa calcula que la digitalización de la Sanidad generará 120.000 millones de beneficios al año en 2030. Así lo destacan desde

Asseco Spain, señalando que al aumento del uso de la telemedicina y la disponibilidad de servicios digitales se le suma un pilar clave, la ciberseguridad. Este último punto es crucial ya que salvaguardar datos confidenciales de pacientes, así como disponer de información crítica y recuperarla en caso de robo, son los puntos clave para garantizar la actividad diaria de cualquier hospital o centro sanitario.

56 eldentistamoderno marzo 2023 REPORTAJE
123RF

Según indican desde Asseco Spain, la digitalización del sistema de salud permitiría poder dar una respuesta más rápida y personalizada a los pacientes, así como lograr una mayor eficiencia e interoperabilidad en el uso del sistema de salud entre los diferentes Sistemas Regionales de Salud de las Comunidades Autónomas.

El gran volumen de datos e información presente en el sector sanitario hace que blockchain sea una tecnología trascendental, ya que puede agilizar este tipo de procesos y otorgaría un ahorro de costes diarios.

Para hablar de blockchain es necesario entender qué es la DLT (Distributed Ledger Technology). Tal y como explican desde Asseco Spain, la tecnología DLT es una estructura de datos albergada en varios dispositivos informáticos distribuidos en diferentes ubicaciones y regiones. Si bien esta tecnología de libros contables distribuida existe mucho antes de la aparición del Bitcoin, esta criptomoneda ayudó a mejorar la DLT aunando diferentes tecnologías como la marca de transacciones, las redes P2P (Peer to Peer), la criptografía, la potencia computacional compartida y el algoritmo de consenso. En definitiva, los componentes que conforman una DLT son:

• Un modelo de datos que captura el estado actual del ledger

• Un lenguaje de transacciones que cambia el estado del ledger

• Un protocolo utilizado para generar consenso entre los participantes sobre qué transacciones serán aceptadas y en qué orden por el ledger

¿Qué es el blockchain?

Blockchain es una subcategoría de DLT que se basa en una arquitectura de bloques en cadena ordenados cronológicamente. Una blockchain es también un registro compartido y almacenado en muchos equipos (nodos) diferentes y que solo pueden ser actualizados a partir del consenso de la mayoría de los participantes de la cadena. Esto hace que una vez compartida y almacenada la información, sea prácticamente imposible de alterar. La estructura de los datos en blockchain está distribuida en un orden cronológico estricto e

siguiendo la evolución de la Odontología 57 eldentistamoderno marzo 2023
123RF
El uso de la tecnología blockchain incrementa el nivel de confiabilidad y seguridad de la información ”

pensando en el futuro

inmutable, que se consigue a través de un hash o lo que es lo mismo, una encriptación del bloque que genera una huella digital única e inalterable. Cada bloque que se va introduciendo tiene una referencia al hash de los bloques anteriores, por lo que este tipo de estructuras permite la trazabilidad, ya que el origen de cada bloque es único.

Beneficios para el sector sanitario Trazabilidad de los fármacos con receta

La aplicación del blockchain a las cadenas de suministro garantiza la inmutabilidad de los fármacos, evitando alteraciones o falsificaciones durante las diferentes fases de la cadena. Según apuntan desde Asseco Spain, esto dificulta en gran medida la alteración de la información en cualquier punto de la cadena. Además, permite también una trazabilidad mucho más segura y eficiente. Aplicar blockchain a la cadena de suministro de los fármacos reduce la probabilidad de que un medicamento que no cumple con los estándares de calidad entre en la cadena de suministro o termine en las manos del paciente, además de simplificar el seguimiento del flujo de suministros y equipos médicos.

Ensayos clínicos

El blockchain ofrece un registro de datos de ensayos transparente e inmutable de los ensayos clínicos. Tal y como indican desde Asseco Spain, una plataforma que utiliza esta tecnología para almacenar datos de ensayos clínicos facilita a in-

vestigadores y reguladores el acceso a los datos y su verificación, mejorando la calidad y fiabilidad de los resultados.

Protección de la información confidencial y personal Por otro lado, apuntan que el blockchain permite alterar los datos desde múltiples puertas de entrada, lo que a priori puede parecer inseguro, pero blockchain está diseñado para mitigar este riesgo. Todos los bloques están conectados entre sí mediante firmas únicas. Si se quiere introducir más información en un bloque, ese bloque no se altera, sino que se crea uno nuevo donde podemos ver qué y cuándo se ha actualizado. Al funcionar blockchain a través de un consenso descentralizado, el ciberdelincuente que quisiera alterar los datos tendría que hacerse con el control de la mayoría de los nodos de la red de manera simultánea y alterar toda la cadena. Esto no es imposible, pero es extremadamente difícil de realizar debido a la gran red de nodos a la que está interconectada la cadena bloques. Además, la encriptación de los datos por hash permite verificar

58 eldentistamoderno marzo 2023 REPORTAJE
El blockchain ofrece un registro de datos de ensayos transparente e inmutable de los ensayos clínicos ”
123RF

que los bloques de la cadena no han sido manipulados sin el consentimiento del paciente o del profesional médico.

Telemedicina, gestión documental y personalización Blockchain abre la puerta a una gran cantidad de opciones de personalizar los tratamientos y la asistencia médica. Un ejemplo son los datos generados por el uso de la telemedicina tales como las videoconsultas o las recetas electrónicas, que se pueden almacenar y compartir de forma segura a través de blockchain, mejorando el acceso de los pacientes a la atención sanitaria y descongestionando el sistema de salud. Lo mismo ocurre con los datos genómicos del paciente, que se almacenan y comparten de forma segura entre los profesionales médicos individualizando los tratamientos y haciendo un uso más eficiente. El acceso a los historiales médicos es otra de las aportaciones de blockchain al sector salud, ya que permite acceder tanto a pacientes como a profesionales a la infor-

mación persona y médica, otorgándoles así más control sobre ella.

Aplicaciones en Odontología

Por su parte, desde el Institut de Formació Contínua-IL3 de la Universitat de Barcelona, los Profesores de Unlock Formación Yván Lopez y Jordi Peiró señalan que la tecnología  blockchain aplicada al sector dental permitirá a los odontólogos “ser capaces de tener un mayor control, registro y visibilidad a la hora de revisar las historias clínicas de los pacientes, ya que este tipo de tecnología te permite mediante un código QR acceder a toda la trazabilidad del historial clínico del paciente, sus radiografías, análisis, pruebas, anamnesis, etc. Esto permite que, aunque el paciente se encuentre fuera del país o por urgencias lo tengamos que atender, podemos acceder a toda esta información”.

A nivel de gestión de clínica, la aplicación de esta tecnología supone un mayor control y optimización de los recursos y seguimiento a todo los niveles, tanto a nivel paciente como a nivel productos, compras y trazabilidad de los productos y fármacos, según apuntan los Prof. Lopez y Peiró. La tecnología blockchain también ofrece beneficios para el odontólogo a nivel personal como, por ejemplo, para la optimización de su cashflow e incluso para temas de formaciones y cursos odontológicos, ya que esta tecnología permite acceder al metaverso, donde el odontólogo podrá acceder y participar en formaciones, congresos y eventos del sector sin desplazarse físicamente. 

siguiendo la evolución de la Odontología 59 eldentistamoderno marzo 2023
La tecnología blockchain ofrece beneficios para el odontólogo para la optimización de su cashflow y formación ”

“ACTUALMENTE NO EXISTE UN PROTOCOLO PARA LA APLICACIÓN DE LA RV EN ODONTOLOGÍA PARA SU IMPLEMENTACIÓN EN LA PRÁCTICA CLÍNICA DIARIA”

El miedo al dentista está en el top de la lista de motivos por los que los españoles no van al odontólogo. El Dr. Carlos Torres Martín, odontólogo de atención primaria, se ha unido a los Dres. Rubén Nieto y Pierre Bourdin para crear un equipo multidisciplinar que está llevando a cabo un proyecto -en forma de tesis doctoral- con el objetivo de estudiar las aplicaciones de la Realidad Virtual para gestionar la ansiedad y el dolor en el campo de la Odontología, centrándose en la opinión de los profesionales al respecto y así ayudar a este tipo de pacientes en la consulta.

 DM.- Háblenos sobre el Proyecto “Virtual Reality applications to manage pain and anxiety in dental environments”. ¿Cómo surgió y cuál es su finalidad?

Docente colaborador de prácticas extramuros de la Universidad de Barcelona y de la Universidad Internacional de Cataluña. Ha cursado múltiples postgrados universitarios y cursos de formación continuada.

En la actualidad desarrolla una tesis doctoral sobre realidad virtual en odontología.

Dr. Carlos Torres Martín (Dr. C.T.M.).- Desgraciadamente y según la encuesta del Consejo General de Dentistas, el miedo al dentista es el primer motivo para no ir al odontólogo que dan los españoles que creen tener un problema dental, superando los motivos económicos. Esta odontofobia es algo que en la consulta vemos a diario y que paraliza a algunos de nuestros pacientes, condicionando su salud oral y afectando a todo su organismo. Por mi posición como odontólogo de atención primaria, atiendo muchos casos de pacientes que llevan años sin realizarse las revisiones y tratamientos odontológicos necesarios y que presentan situaciones extremas causadas, entre otros motivos, por su aversión al dentista.

Partiendo de esa base, hace 18 meses iniciamos este proyecto que constituye una tesis doctoral con la finalidad de ayudar a los pacientes que presentan miedo o ansiedad en la consulta odontológica y que está relacionado con el dolor. Los doctores Rubén Nieto y Pierre Bourdin tienen gran experiencia en esta materia y aceptaron dirigir la tesis. El

tecnología
odontofobia ENTREVISTA 60 eldentistamoderno marzo 2023
y
Dr. Carlos Torres Martín, odontólogo de atención primaria y Doctorando del Programa en Salud y Psicología de la UOC Dr. Carlos Torres Odontólogo de atención primaria. Trayectoria profesional en clínicas privadas y en el Sistema Nacional de Salud.

siguiendo la evolución de la Odontología

doctor Nieto es el coordinador del Programa de Doctorado en Salud y Psicología de la Universitat Oberta de Catalunya (UOC) y está especializado en las terapias para el tratamiento del dolor, mientras que el doctor Bourdin es el director del laboratorio de tecnologías inmersivas XR Lab de la UOC y está especializado en las distintas aplicaciones de la Realidad Virtual (RV). Gracias a la unión de las tres especialidades (tratamiento del dolor, realidad virtual y odontología), hemos creado un equipo multidisciplinar cuyas sinergias permiten estudiar las aplicaciones de la RV para gestionar la ansiedad y el dolor en el campo de la odontología.

 DM.- Como investigador responsable de este proyecto sobre las posibles aplicaciones de la Realidad Virtual (RV) en el ámbito de la Odontología, ¿cuál es la situación actual de la RV en la profesión odontológica y qué beneficios puede aportar?

Dr. C.T.M.- Actualmente existe una tendencia al aumento de las tecnologías inmersivas como la RV en diversas temáticas de investigación como la educación, el marketing y distintas ramas de la medicina. Sin embargo, en el área de la odontología hemos visto que, a pesar de que existen cada vez más estudios que aplican la RV, esto no parece estar trasladándose a las consultas habitualmente. Existen múltiples estudios al respecto, pero actualmente no existe un protocolo para la aplicación de la RV en odontología para su implementación en la práctica clínica diaria.

Estudios anteriores muestran que los entornos de RV pueden ayudar a los odontólogos y pacientes en múltiples etapas del tratamiento desde la anestesia hasta obturaciones, endodoncias, tratamientos periodontales o cirugías orales. Más allá de los tratamientos odontológicos, valoramos otros be-

neficios potenciales como la explicación del plan de tratamiento o la fidelización de los pacientes para diferenciarse de otras clínicas.

 DM.- Concretamente, la investigación se centra en las aplicaciones de la RV el manejo de la ansiedad y el dolor en el campo de la Odontología. ¿Qué les llevó a focalizar la investigación en este ámbito? ¿Cómo puede la RV ayudar a manejar la ansiedad y el dolor en Odontología?

Dr. C.T.M.- Al realizar una revisión de la literatura, descubrimos que cada estudio seguía un protocolo distinto de aplicación de la RV durante los tratamientos odontológicos, sin embargo, todas las investigaciones concluían lo mismo: la RV había sido beneficiosa para sus pacientes. Esta carencia de unanimidad nos hizo ver la necesidad de centrarnos no sólo en los pacientes, sino también en la opinión de los profesionales al respecto. Tanto en el caso de la ansiedad como del dolor se ha demostrado que el uso de la RV puede ayudar a controlarlos. La capacidad de inmersión que proporciona la RV al paciente permite disminuir su

61 eldentistamoderno marzo 2023
Este proyecto constituye una tesis doctoral con la finalidad de ayudar a los pacientes que presentan miedo o ansiedad en la consulta odontológica y que está relacionado con el dolor

tecnología y odontofobia

ansiedad, creando una tranquilidad que le abstrae de la consulta. Al mismo tiempo, ese aislamiento consigue que disminuya la percepción del paciente del dolor y de los estímulos que asocia al dolor como, por ejemplo, el sonido o la vibración de la turbina. Las aplicaciones de la RV para tratar el dolor que parecen novedosas en odontología llevan años aplicándose para tratar el dolor agudo y crónico en otros ámbitos de la medicina desde vacunas infantiles al tratamiento de grandes quemados o pacientes con síndrome del miembro fantasma. Por supuesto, este manejo del dolor no persigue sustituir a la anestesia, sino complementarla modificando la percepción subjetiva del dolor que tiene el paciente antes del tratamiento, durante la anestesia y una vez anestesiado.

 DM.- Para analizar las posibles aplicaciones de la RV, han elaborado una encuesta dirigida a odontólogos y estudiantes del Grado en Odontología para conocer su opinión al respecto. ¿Cuáles son los principales ítems o temas a analizar?

Dr. C.T.M.- Las preguntas incluyen desde si han utilizado alguna vez unas gafas de RV hasta cuál es la fase del tratamiento que consideran óptima para aplicar la intervención o en qué tipo de pacientes. El objetivo de la encuesta es, como decíamos antes, conocer la opinión de los profesionales al respecto para poder implementar esta tecnología madura y asequible en la consulta. No sólo pretendemos averiguar la situación actual, sino comprender qué expectativas tienen y recoger propuestas que permitan acondicionar la tecnología existente a las necesidades del sector odontológico, desarrollando sus beneficios potenciales. Dentro de la tesis doctoral, recopilaremos y analizaremos los datos de la encuesta, así como un estudio sobre pacientes que incluirá el empleo de la RV durante los tratamientos odontológicos basado en la opinión de los profesionales.

 DM.- ¿Cuántos odontólogos han participado en la encuesta hasta la fecha?

Dr. C.T.M.- Contamos con una muestra inicial de 70 odontólogos y estudiantes de odontología. La encuesta ha sido distribuida entre los colegios profesionales de odontólogos de España, universidades y sociedades científicas y nos consta que está habiendo una gran colaboración por su parte para compartirla, por lo que esperamos que este número siga aumentando hasta completar en las próximas semanas las 200 respuestas que buscamos. Aprovechamos para compartir aquí el enlace de la encuesta para los odontólogos y futuros odontólogos interesados en participar en el estudio: https://uocuniwide.eu.qualtrics.com/jfe/form/ SV_6sXW2dRfBii1xcO

 DM.- ¿Cuándo tienen previsto publicar los primeros resultados del análisis estadístico de los datos recogidos?

Dr. C.T.M.- Tras cerrar la encuesta, pretendemos analizar y publicar los datos en septiembre de este mismo año. El análisis de los datos preliminares obtenidos hasta hoy nos hace ser muy optimistas, ya que los encuestados muestran gran interés en estas herramientas y están contribuyendo con puntos de vista muy interesantes. Estas aportaciones permitirán sentar las bases para las investigaciones clínicas con pacientes que se desarrollen en los próximos años. 

ENTREVISTA 62 eldentistamoderno marzo 2023
Tanto en el caso de la ansiedad como del dolor se ha demostrado que el uso de la RV puede ayudar a controlarlos

LA FOTOGRAFÍA, UNA HERRAMIENTA NECESARIA EN UNA CLÍNICA DENTAL

A lo largo de este artículo, el fotógrafo profesional Marcel Martín Barceló, especialista en fotografía dental, nos explica las razones por las que tomar fotografías en la clínica y propone una serie de consejos útiles para que la fotografía se convierta en una herramienta útil de diagnóstico, seguimiento y marketing para la clínica.

Contacto: marcelmartinbarcelo@gmail.com

En el tiempo que llevo en la fotografía dental, he intentado conocer las necesidades que tiene una clínica dental en cuanto a la fotografía clínica y considero que hay tres TIP’s importantes:

1º) ¿A qué pacientes debo de tomar fotografías?

A todos, y digo a todos, cuando llegan por primera vez a la clínica y en cada una de las visitas para ver la evolución del tratamiento hasta que el tratamiento se acabe.

2º) ¿Quién debe tomar las fotografías?

Quien debería tomarlas es el personal auxiliar. Si las fotografías dependen de los doctores/as nunca se van a tener casos completos y los doctores/as tienen otras funciones más importantes.

3º) ¿Por qué he de tomar fotografías?

Pues por varias razones. La primera, como herramienta de diagnóstico; si realizamos una serie inicial y el doctor/a ve las fotografías en una pantalla van a ver más detalles que en una inspección ocular y podrán realizar un mejor diagnóstico (fotos 1 y 2).

La segunda, como herramienta de autocontrol y seguimiento de los casos (foto 3).

La tercera, como herramienta de marketing; si le enseñamos al paciente las fotografías en una pantalla grande se dará cuenta de cómo tiene la boca. Una fotografía seguro que la entiende, una ortopanto o un tac no lo va a entender. En cuanto se lo enseñemos el paciente se va a quedar en nuestra clínica (fotos 4 y 5).

Si hemos hecho el seguimiento le mostramos una plantilla con el antes y el después y se lo enviamos por WhatsApp, se lo va a enseñar a todo el mundo y tendremos más pacientes (foto 6).

La cuarta, como herramienta de comunicación con el laboratorio (foto 7).

La quinta, como apoyo legal frente a posibles denuncias. Los problemas con los que nos encontramos son, por un lado, la disponibilidad de tiempo y, por otro, saber cómo utilizar las cámaras para obtener buenos registros.

Lo primero que deberíamos hacer es montar un protocolo fotográfico, además de contar con la herramienta adecuada para no tener que ejercer de fotógrafo (para que cualquier higienista o auxiliar pueda realizar la sesión fotográfica sin pérdida de tiempo).

En mi opinión, después de barajar las diversas fórmulas que he observado y analizar las diferentes tomas que he visto hacer a muchas clínicas de diversas especialidades, las fotografías de primera visita deben ser (como mínimo) las siguientes: (foto 8).

• Tres fotografías extraorales: frontal normal, frontal con sonrisa y una de perfil.

En este tipo de fotografías, para evitar sombras en el fondo, deberíamos utilizar un flash esclavo detrás del paciente, porque al dispararse el flash que utilicemos en nuestra cámara, activará el flash esclavo a través de una célula y obtendremos como resultado un fondo blanco uniforme (foto 9).

Hay doctores que prefieren un fondo negro o azul, pero yo creo que el fondo blanco es preferible, porque nos va a perfilar mejor el rostro, aunque también se puede utilizar fondo de color.

Para según qué especialidades se requieren otro tipo de series iniciales y la serie en extraorales sería más completa, lo que yo llamo “Serie Avanzada” sería ésta (foto 10):

• Cuando ya hemos realizado esta serie de fotografías extraorales, invitamos al paciente a pasar al sillón, colocándolo a la altura adecuada de trabajo de la persona que vaya a realizar las fotografías y, tras darle una ligera inclinación (posición cómoda de trabajo), podemos empezar la sesión (fotos 11, 12 y 13).

Para hacer la sesión de fotografía intraoral es conveniente tener un juego de separadores de diversos tipos (según especialidad) y un juego de espejos oclusales y laterales para poder tomar fotografías por lingual-palatino o por vestibular.

formación 64 eldentistamoderno marzo 2023 FOTOGRAFÍA DENTAL

siguiendo la evolución de la Odontología

Las fotografías a realizar en una “Serie Básica” serían las siguientes (foto 14): 1ª frontal en reposo; 2ª sobremordida; 3ª lateral derecho; 4ª lateral izquierdo; 5ª oclusal superior; 6ª oclusal inferior; 7ª resalte.

Esta sesión, si tenemos la herramienta adecuada, nos va a llevar como máximo tres minutos. Si en una sesión larga como es ésta sólo perdemos ese escaso tiempo, en el seguimiento del caso el tiempo a perder será mucho menor y tendremos registrado todo el tratamiento del paciente.

Para hacer todas estas fotografías lo más importante es encuadrar muy bien qué es lo que queremos que salga en la fotografía, buscar la distancia correcta y no picar ni contrapicar las tomas ya que, si no lo hacemos de forma correcta, podemos tener un diagnóstico incorrecto (foto 15). 

Marcel Martín Barceló Fotógrafo profesional.

Co-director de MC Academia Fotográfica con la Dra. Caridad Hernández. Desde el año 2003 ha dictado Cursos en los Colegios de Odontólogos de Catalunya, Baleares, Vizcaya, Aragón, León, Girona, Sevilla, Lugo, Almería, Academia de Ciencias Medicas de Catalunya i Balears.

En Congresos de SEI, SEPA, SEPES, SEDO, SECIB, SEOIA, SECYDO, SEOP, SELO, COLFMDC (Marruecos).

En distintas Facultades como Universidad Internacional de Catalunya, Universidad de Barcelona, Universidad Sevilla, Universidad Rey Juan Carlos, Universidad Alfonso X el Sabio, Universidad Europea (Madrid), Universidad de Santiago de Compostela, Universidad de Almería, Universidad CEU de Valencia, Universidad Católica de Valencia, Universidad de Valencia, Universidad Cespu (Oporto-Portugal) Universidad de Córdoba, Universidad Europea Miguel de Cervantes (Valladolid), Universidad del País Vasco, Universidad de Casablanca (Marruecos), Universidad de Murcia. Profesor del Curso de Formación Continuada en fotografía dental e iniciación a Photoshop de la Universidad de Sevilla.

Máster Damon, formación para ponentes de Astra, Klockner, Biomet 3i, Straumann. Formación para personal auxiliar en Ahiadec, Colegio profesional de Higienistas de Madrid, Academia de Ciencias Médicas de Catalunya i Balears y en distintas clínicas de España y Portugal y Marruecos, Centros de formación IESO-IOC, Formadent, Saludent, Formados, Blue Pearl Dental Care (Londres) y diversas clínicas en Francia.

Autor del libro Fotografía fácil aplicada a la Odontología.

65 eldentistamoderno marzo 2023
1 2 3 4

formación

66 eldentistamoderno marzo 2023 FOTOGRAFÍA DENTAL 5 6 7 8 9 10
67 eldentistamoderno marzo 2023 siguiendo la evolución de la Odontología 11 12 13 14 15

MÁS DE 400 PROFESIONALES ASISTEN AL SIMPOSIO SEPES-SEPA CLÍNICA EN BARCELONA

Bajo el epígrafe “Perio-Prótesis, una sinergia esencial para la Odontología” se ha celebrado SEPES Clínica, evento interdisciplinar anual de SEPES que este año ha contado con SEPA como sociedad invitada co-partícipe en el programa científico y en la moderación de las sesiones labor que han desempeñado los doctores Sandra Fernández Villar y Alfonso Gil por parte de SEPES y Óscar González y Vanessa Ruiz-Magaz por SEPA.

El objetivo que se marcaron las directivas de ambas sociedades y los coordinadores fue ofrecer una actualización en torno a las sinergias entre la prótesis y la periodoncia y su implicación en la excelencia de los tratamientos restauradores. Objetivo alcanzado, según la opinión común de los más de 400 asistentes, en las ponencias conjuntas perio-pros impartidas por los ponentes. Como han indicado los doctores Guillermo Pradíes y José Nart, presidentes de SEPES y SEPA respectivamente, “los asistentes han podido ver en un único evento todo lo que tiene que ver con la relación interdisciplinar de la periodoncia y la prótesis tanto en pacientes periodontalmente sanos como incluso en pacientes afectados en estado IV”. Tras la intervención de Miguel Roig y Antonio Bujaldón, expresidentes de SEPES y SEPA, dando la bienvenida al evento dio comienzo la primera jornada de sesiones. En un dinámico formato participativo de cinco ponentes, Antonio Bujaldón, Irene García, Antonio Meaños, Sergio García-Bellosta y Raquel García abrieron el programa con una sesión conjunta en la que dieron sus respuestas al interrogante de cómo planificar un caso perio-pros en pacientes con periodonto sano. Posteriormente fue el turno de los tándems formados por Juan Flores y

Carla Vidal y Álvaro y Gonzalo Blasi con sendas presentaciones sobre manejo de la sonrisa gingival y su terapéutica y el manejo perio-restaurador de las recesiones gingivales. Para cerrar la jornada, el clínico mexicano Iván Contreras dio respuesta a la pregunta de dónde está el límite en el manejo de la morfología gingival.

El segundo día fue el turno de los casos clínicos en los que la afectación periodontal en estados avanzados fue la protagonista. Paula Matesanz y Miguel Roig compartieron su experiencia en cómo diagnostican y planifican los casos de periodontitis en estadios III y IV. Por su parte, Ana Torres y Fernando Luengo, y con el mismo tipo de pacientes como referencia, mostraron cómo se puede conseguir un resultado estético con restauraciones directas e indirectas.

Tras la pausa del café en la que los asistentes pudieron visitar una amplia exposición comercial, los presidentes de SEPES y SEPA, Guillermo Pradíes y José Nart, comentaron la necesidad imprescindible de trabajar por una comunidad de conocimiento interdisciplinar y digital.

Tras ellos, el programa siguió avanzando con ponencias en las que la terapia con implantes se aplica en situaciones de periodontitis de alta afectación, Ignacio Sanz y Berta García-Mur presentaron casos en esta línea. El mantenimiento periodontal restaurador a largo plazo fue el tema que María Rioboo y Vicente Berbís abordaron a continuación en su presentación conjunta.

Tras esta serie de presentaciones en tándem, se abrió la sesión que puso en perspectiva el presente y futuro de los tratamientos perio-prótesis en la que los clínicos Paul Levi, de forma presencial, y Homa Zadeh y Ricardo Mitrani, en conexión virtual, respondieron en directo a las preguntas que al respecto les formularon los moderadores de la sesión. Una gran oportunidad de disfrutar de la experiencia y visión de tres grandes expertos en prótesis y periodoncia y en la relación esencial entre ambas en pos de la excelencia clínica. 

actualidad 68 eldentistamoderno marzo 2023 EVENTOS
En la imagen, la Junta de SEPES junto con los coordinadores de SEPES-SEPA Clínica. FOTO: SEPES En la imagen, los doctores Guillermo Pradíes y José Nart, presidentes de SEPES y SEPA respectivamente, durante el Simposio SEPES-SEPA Clínica. FOTO: SEPES

CERCA DE 1.500 PROFESIONALES SE REUNIERON EN EL

6º CONGRESO BIENAL DEL COEM

para poder acabar con esta enfermedad. La conducta de las personas, establecer buenos hábitos de higiene y de alimentación, son fundamentales y difícil de cambiar, pero es uno de los objetivos por los que hay que trabajar, según palabras del Dr. Castillo.

El Dr. Cesare Luzi, ponente de Ortondoncia, y sus estrategias guiadas por prótesis, fue la última de las conferencias del programa internacional.

Sala de Casos Clínicos

La Sala de Casos Clínicos, novedad en este 6º Congreso, contó con una amplia representación de temas de máxima actualidad, que fueron presentados por ponentes nacionales de alto nivel.

La sala 2, con una capacidad para más de 400 personas, estuvo llena en todas las presentaciones, según informan desde el COEM.

Programa 360º y talleres

El Colegio de Odontólogos y Estomatólogos de Madrid (COEM) celebró durante los días 10 y 11 de febrero, en Kinépolis, su 6º Congreso Bienal “Actualización Multidisciplinar en Odontología”. Una cita que cada dos años acerca a los mejores ponentes internacionales y nacionales a los colegiados de Madrid.

El comité organizador, presidido por la Dra. Laura Ceballos, ha estado formado por: Dr. Antonio Montero, Dr. Carlos Fernández Villares, Dr. Guillermo Pradíes, Dr. Jaime Jiménez, Dr. Óscar González. Dra. Ana Arias, Dra. Julia García Baeza y Dra. Marisol Ucha.

El programa científico internacional no defraudó. En una sala con capacidad para mil personas, la jornada del viernes arrancó con la ponencia de Conservadora del Dr. Avijit Banerjee, que presentó su enfoque del manejo de la caries dental centrado en el cuidado oral basado en la mínima intervención, que tuvo una excelente aceptación por parte de los asistentes.

El representante internacional de Endodoncia fue el Dr. Filippo Santarcangelo, que explicó las claves para que el tratamiento de conductos sea predecible: practicar una buena apertura de cámara pulpar adecuada al caso clínico, una preparación guiada por la anatomía, un vaciado tridimensional del diente durante la irrigación, así como una obturación tridimensional, para conseguir un tratamiento completo.

Tras el primer descanso, el Dr. Ronal Jung, ponente de Implantoprótesis, explicó en la sala principal del Congreso cómo tomar las decisiones correctas en las prótesis sobre implantes y qué aprender de las complicaciones. Por su parte, el Dr. Stéfen Koubi, en su conferencia sobre Estética, trató los dogmas en la práctica clínica diaria, desde la no preparación a la mínima preparación.

La jornada del sábado fue el turno del Dr. Jorge Luis Castillo, el representante internacional de Odontopediatría. La caries de la primera infancia, cuyos altos índices preocupan a la profesión, fue el tema de su ponencia. Las medidas preventivas siguen siendo aún insuficientes

El Congreso también contó con su ya tradicional sala Programa 360º, en la que en formato de conferencias más cortas se exponen temas variados de actualidad, desde gestión de clínica, pasando por salud mental, higiene postural en la consulta o el uso de los antibióticos, entre otros muchos temas.

La oferta formativa se completaba con talleres prácticos y con la sesión de “Lesiones de mancha blanca”, organizada en colaboración con las sociedades científicas SESPO, SEOP y SEOC.

Precongreso

El jueves 9 de febrero, en formato precongreso, se celebró en la sede colegial, la presentación de casos clínicos por parte de alumnos de postgrados de las universidades madrileñas que impartes estudios de Odontología.

Las presentaciones ganadoras fueron: 1º Premio. Mª Consolación Castro Campano. Inmunosupresores y su gran impacto a nivel oral. Máster de Odontopediatría - Universidad Complutense de Madrid; 2º Premio. Mª Belén Such Barranco. Manejo de los espacios negros mediante restauraciones adhesivas en el paciente periodontal. Máster de Odontología Restauradora, Estética y Endodoncia - Universidad Rey Juan Carlos; y 3º Premio. Marina Gúrpide Lasheras Segundo molar mandibular con configuración en “C” y radix entomolaris- Máster de Endodoncia - Universidad Europea.

Clausura del Congreso

El punto final del Congreso lo puso el espectáculo Corta el cable rojo, un show de improvisación y humor que llenó la sala principal del Congreso de diversión y risas.

La Dra. Laura Ceballos, presidenta del 6º Congreso, junto al Dr. Antonio Montero, presidente del COEM, y la Dra. Marisol Ucha, responsable del Programa 360º, dieron la despedida a todos los asistentes. 

69 eldentistamoderno marzo 2023
En la imagen, los miembros del Comité Organizador del 6º Congreso Bienal del COEM. FOTO: COEM

EL 57,9% DE LOS DENTISTAS COLEGIADOS EN ESPAÑA SON MUJERES

Con motivo del Día Internacional de la Mujer, que se celebra el 8 de marzo, el Consejo General de Dentistas quiere resaltar la importante presencia de las mujeres en la Odontología Española. Según los últimos datos de Instituto Nacional de Estadística (INE), correspondientes a 2021, en nuestro país contamos con 40.417 dentistas colegiados, de los cuales 16.993 son hombres y 23.424 son mujeres. En términos porcentuales, la cifra de hombres dentistas es del 42,04% y del 57,95% en el caso de las mujeres. Mientras que el número de dentistas hombres se mantiene más o menos estable desde 2019, el número de mujeres ha aumentado en 1.372 profesionales.

“Afortunadamente, este crecimiento exponencial se está viendo reflejado en que las mujeres ocupan cada vez más puestos de responsabilidad dentro del sector, como la dirección de clínicas dentales o la presidencia de sociedades científicas y colegios de dentistas”, explica el Dr. Óscar Castro, presidente del Consejo General de Dentistas de España. “De todas formas, debemos seguir trabajando para proteger la igualdad entre hombres y mujeres, y que todos podamos disfrutar de las mismas oportunidades laborales. Somos compañeros con la misma formación académica y nuestro objetivo es velar por una Odontología ética y de calidad al servicio de los ciudadanos, por lo que no debe haber discriminación de ningún tipo”, añade el Dr. Castro. 

EL GOBIERNO ANUNCIA UNA LEY DE PARIDAD QUE AFECTARÁ A LOS COLEGIOS

PROFESIONALES

El presidente del Gobierno, Pedro Sánchez, ha anunciado que el Consejo de Ministros aprobará una ley de representatividad paritaria entre hombres y mujeres que afectará a todos los ámbitos de la sociedad, desde la política a la economía.

Así, esta norma se aplicará también a los Colegios Profesionales y los Consejos Generales, garantizando que las mujeres desempeñen, como mínimo, el 40% de los puestos en las juntas de gobierno de estos organismos.

Según indica el anteproyecto del Gobierno, este incremento podrá aplicarse “de forma gradual, de manera que a fecha 30 de junio de 2026 se haya alcanzado el anterior porcentaje”. 

actualidad NOTICIAS 70 eldentistamoderno marzo 2023
Mientras que el número de dentistas hombres se mantiene más o menos estable desde 2019, el número de mujeres ha aumentado en 1.372 profesionales. FOTO: Pexels En la imagen, el presidente del Gobierno de España, Pedro Sánchez. FOTO: Pool Moncloa / Fernando Calvo.

LOS CONSEJOS GENERALES SANITARIOS ALERTAN DE LOS RIESGOS DE LA FORMACIÓN SEMIPRESENCIAL EN LOS GRADOS DE

CIENCIAS DE LA SALUD

LosConsejos Generales de Dentistas, Farmacéuticos, Médicos y Veterinarios han hecho público un posicionamiento conjunto en el que muestran “su preocupación y discrepancia con las iniciativas orientadas a aplicar la modalidad de formación semipresencial en los estudios de Grado de Ciencias de la Salud que están proliferando en los últimos años y que tienen la consideración de habilitantes”.

Dicho posicionamiento, suscrito por los presidentes de las cuatro profesiones, sostiene que este tipo de formación “plantea dudas e incertidumbres sobre la adecuación y la calidad de la formación que recibirán los futuros sanitarios”, recordando además que esta modalidad de formación no se plantea en el resto de países de la Unión Europea.

Los Consejos Generales de Dentistas, Farmacéuticos Médicos y Veterinarios recuerdan que su formación de Grado tiene la correspondencia con el nivel 3 del Marco Español de Cualificaciones para la Educación Superior (MECES, nivel de Máster), nivel que “exige un mayor com-

promiso hacia la especialización y orientación del aprendizaje a los aspectos más prácticos de las disciplinas. Algo que difícilmente se conseguirá si no es a través de la presencialidad tanto en las clases teóricas y, obviamente, en las prácticas que conforman los distintos planes de estudio”. Las cuatro profesiones concluyen que la modalidad presencial “es la que mejor garantiza la obtención de los conocimientos, aptitudes, actitudes y habilidades necesarios para el ejercicio de dentistas, farmacéuticos, médicos y veterinarios”. Por todo ello, dentistas, farmacéuticos, médicos y veterinarios manifiestan “su preocupación ante los responsables educativos por el impacto negativo que tendría la modalidad semipresencial en la calidad de la formación que reciban los futuros profesionales sanitarios”. Malestar que trasladarán a responsables políticos, de la Universidad y de las administraciones sanitarias y de educación, mediante el envío del posicionamiento conjunto. 

- ¡Qué dolor de espalda! Pruébala Gratis 10 días - Gracias. - ¡Que maravilla!. - ¡Ahora trabajo sin dolor! Tf. 94 668 0403 - info@bambach.es bambach.es - No, yo utilizo una silla Bambach. - ¿Es que a ti no te duele? - ¡No puedo más!
Pexels

LOS CONSEJOS GENERALES DE DENTISTAS Y MÉDICOS SE UNEN PARA IMPULSAR

EL DESARROLLO PROFESIONAL Y LUCHAR CONTRA EL INTRUSISMO

presidente del Consejo General de Dentistas, el Dr. Óscar Castro Reino, y el presidente del Consejo General de Médicos (CGCOM), el Dr. Tomás Cobo Castro, han firmado recientemente un convenio marco de colaboración para llevar a cabo actuaciones y actividades de interés para ambas instituciones que contribuyan a mejorar el desarrollo técnico y profesional de dentistas y médicos colegiados.

A través de este acuerdo se impulsará la colaboración de estos colectivos para identificar las competencias y funciones de cada uno de ellos, siempre en beneficio de la salud de los pacientes. Asimismo, se estudiará la incidencia de las nuevas tecnologías en las relaciones interprofesionales promoviendo, especialmente, la receta privada electrónica. Otro de los objetivos es impulsar vías de comunicación interprofesionales ágiles que permitan a médicos y dentistas, como profesionales sanitarios implicados en la atención al paciente, la remisión de men-

Elsajes e información relacionada sobre la salud bucodental y general de los pacientes. En este sentido, se colaborará en programas y proyectos de educación para la salud o detección de población de riesgo en el ámbito de la salud.

Intrusismo profesional Gracias a este acuerdo, se establecerá una comunicación permanente y fluida entre ambos Consejos a efectos de luchar contra el intrusismo profesional y se desarrollarán las actuaciones que resulten necesarias para promover la ordenación profesional respectiva, la formación especializada de dentistas y médicos, así como el Desarrollo Profesional Continuo de dichos profesionales sanitarios, a través de programas específicos que puedan ser compartidos en sus fundamentos. Igualmente, se trabajará para defender y proteger la salud de la población aportando información fiable y contrastada sobre salud bucodental y salud general, haciendo frente común a los bulos que puedan surgir en internet y redes sociales. Del mismo modo, se pondrán en marcha actuaciones coordinadas ante las Administraciones Sanitarias para una mejor defensa de los intereses de los dentistas y médicos y que persigan conductas contrarias a derecho respecto a la venta de productos sanitarios o medicamentos. 

DENTISTAS Y MÉDICOS SON LOS ÚNICOS PROFESIONALES CON ATRIBUCIONES PARA REALIZAR TRATAMIENTOS CON MICROFILLERS Y TOXINA BOTULÍNICA

LosConsejos Generales de Dentistas y Médicos firmaron el 8 de febrero un convenio para impulsar asuntos de interés para ambos colectivos. En virtud del mismo, y ante la detección del aumento de casos de intrusismo en el ámbito de los tratamientos estéticos (particularmente, los faciales), los Consejos de Dentistas y Médicos rubricaron una declaración al respecto. En ella se expone que los médicos y los dentistas son los únicos profesionales con competencias y atribuciones para la realización de determinados tratamientos con carácter estético o terapéutico mediante el uso de microfillers (ácido hialurónico) o toxina botulínica dentro de sus respectivos campos de actuación.

Actualmente, en el caso de los dentistas, los medicamentos con toxina botulínica solo pueden ser utilizados, con carácter general, para tratamientos contra la sialorrea crónica en adultos y niños. Y ello, porque en la actualidad no existen medicamentos con toxina botulínica que contengan en su ficha técnica indicaciones dentro del campo de actuación del dentista, salvo para el caso indicado. Por eso, para las demás indicaciones terapéuticas o estéticas de la toxina botulínica, el único profesional con capacidad para su utilización son los médicos.

Hoy en día, se conocen nuevas aplicaciones terapéuticas de la toxina botulínica para casos de afecciones de la articulación temporomandibular, bruxismo y rechinamiento, dolores orofaciales o sonrisas gingivales. Se ha demostrado la utilidad de esta sustancia para tratar estos casos clínicos y en algunos países como Estados Unidos está permitido su uso por profesionales sanitarios. Pero en España, por ahora, no existe ningún medicamento con toxina botulínica autorizado para estos casos.

Por otro lado, el ácido hialurónico puede ser aplicado por dentistas dentro de su campo de actuación, como pueden ser los labios o mejillas, como partes anatómicas de la boca, de la que constituyen respectivamente sus paredes anteriores y laterales. Sin embargo, en todos los posibles usos que excedan de lo llamado comúnmente “tercio inferior de la cara”, los médicos serán los únicos profesionales con capacidad y atribuciones para la utilización de medicamentos con ácido hialurónico.

Desde el Consejo General de Dentistas se recuerda a los pacientes interesados en estos tratamientos que deben comprobar la titulación del profesional que va a aplicar estos medicamentos, para tener la certeza de que están en manos de profesionales que cuentan con las competencias adecuadas y las atribuciones legales para tal fin. 

actualidad NOTICIAS 72 eldentistamoderno marzo 2023

LA DRA. PÍA LÓPEZ JORNET, NUEVA ACADÉMICA DE NÚMERO DE LA ACADEMIA DE CIENCIAS ODONTOLÓGICAS DE ESPAÑA

La Dra. Pía López Jornet tomó posesión el pasado 23 de febrero en la Real Academia Nacional de Farmacia de la plaza de académico de número, medalla número 15, adscrita a la sección de Estomatología de la Academia de Ciencias Odontológicas de España. El discurso pronunciado por la Dra. López Jornet ha versado sobre la expresión clínica de los “trastornos orales potencialmente malignos”, una de las líneas de investigación principales que ha desarrollado durante su carrera dentro del campo de la Medicina Oral.

La Dra. López Jornet es médico estomatólogo con una amplia trayectoria tanto en el ejercicio profesional como en la docencia. Es catedrática del Departamento de Dermatología, Estomatología, Radiología y Medicina Física de la Universidad de Murcia, autora de un centenar de publicaciones científicas de Medicina Oral en revistas nacionales e internacionales y dictante de más de 100 conferencias, cursos impartidos y comunicaciones a congresos. El pasado año la Dra. López Jornet fue reconocida por la Universidad de Stanford como una de las mejores

investigadoras científicas del sector odontológico en el mundo.

El discurso pronunciado por la Dra. Pía López Jornet ha comenzado con unas palabras de agradecimiento, destacando “el gran honor que supone haber sido propuesta Académica de Número de la Academia de Ciencias Odontológicas. Una satisfacción personal enorme poder compartir con tan ilustres miembros los trabajos y los fines de esta institiucuón” . Tras las palabras de agradecimiento y recuerdo la doctora ha comenzado el discurso que ha versado sobre “la expresión clínica de los trastornos orales potencialmente malignos”, una de las líneas de investigación principales que ha desarrollado durante su carrera dentro del campo de la Medicina Oral. Por parte de la Academia, ha intervenido su presidente el Dr. Antonio Bascones, primer académico de la sección de Estomatología Médico Quirúrgica en el año 2015, señalando que “damos el abrazo de bienvenida a la Dra. pía López Jornet por integrarse en nuestra Academia con todos los honores y la deseamos largos años de fructífera relación con nosotros”. 

LA FDI PROMUEVE LA INVESTIGACIÓN SOBRE LA RELACIÓN ENTRE LA SALUD BUCODENTAL Y SISTÉMICA

Casi 3.500 millones de personas padecen afecciones bucodentales, lo que las convierte en la enfermedad no transmisible (ENT) más prevalente a escala mundial. Por desgracia, en muchos países la salud bucodental se ha aislado a menudo en los sistemas sanitarios, separando la boca del cuerpo y subestimando la importancia de la salud bucodental para la salud general. A través de su proyecto Whole Body Health, la FDI pone de relieve la relación bidireccional entre la salud bucodental y la salud sistémica y pretende promover las últimas investigaciones en este ámbito.

Diagrama

Whole Body Health

La salud bucodental es un indicador clave de la salud general y una mala salud bucodental puede aumentar el riesgo de otras ENT. La mala salud bucodental y las enfermedades bucodentales no tratadas están asociadas a múltiples afecciones, como las enfermedades cardiovasculares, el aumento del riesgo de ictus y la diabetes, que tienen una relación bidireccional con la enfermedad periodontal, ya que cada una puede influir en la otra y empeorarla. Por otro lado, la periodontitis durante el embarazo está relacionada con el bajo peso al nacer, los partos prematuros y la preeclampsia.

El Diagrama Whole Body Health está diseñado para permitir a los profesionales de la salud bucodental y a la comunidad sanitaria en general acceder a las últimas investigaciones que relacionan la salud bucodental con la salud general y apoyar la exploración de estas relaciones. Las pruebas presentadas apoyan firmemente la Visión 2030 de la FDI, que traza cómo los profesionales de la salud pueden contribuir adecuadamente a la prevención y gestión eficaces de las enfermedades bucodentales y colaborar entre las distintas disciplinas sanitarias para mejorar la salud y el bienestar.

Cada condición de salud presentada en el diagrama se ha clasificado según la solidez de la investigación de apoyo (sólida, emergente, temprana). El impacto de una salud bucodental deficiente en la afección específica se ha clasificado como “causal”, “empeoramiento” o “asociación”. Esta información puede utilizarse para abogar por planes de atención mejorados e integrados que tengan en cuenta la relación bidireccional entre la salud bucodental y la salud general. Desde la FDI animan a las asociaciones dentales nacionales a acceder, compartir y utilizar la información presentada en el diagrama. 

73 eldentistamoderno marzo 2023

MÁS DEL 70% DE LOS NIÑOS ENTRE UNO Y SEIS AÑOS TIENEN CARIES EN LOS DIENTES DE LECHE

Investigadores de la Policlínica Universitaria CEU han publicado recientemente un estudio en el que hallan que la prevalencia de caries en la dentición temprana es de un 73,3% en niños entre 12 meses y seis años. En niños es de un 70% y en niñas del 75%.

“La prevalencia que hemos hallado de caries en dentición temprana es elevada y en la muestra de pacientes que hemos estudiado se ve una severidad avanzada, si bien hemos encontrado una diferencia de un 5% más de caries en niñas, esto no es estadísticamente significativo”, detalla Clara Garcete, profesora del Máster en Odontopediatría de la Policlínica Universitaria CEU.

‘Prevalencia de la caries en la dentición temprana’ es el título del artículo publicado por los profesores Caridad Arias Macías, César Muelas y Alicia Martínez, directora de la Policlínica Universitaria CEU, junto con la profesora del Máster en Odontopediatría, Clara Garcete, y la estudiante del grado en Odontología Maui Blanco, también de la Policlínica Universitaria, en la revista “Científica Dental” del Colegio Oficial de Odontólogos y Estomatólogos de la Comunidad de Madrid (COEM).

“Hasta el día de hoy, no se había realizado ningún estudio epidemiológico de la caries en dentición temprana de los pacientes pediátri-

cos que acuden a la Policlínica Universitaria CEU, por eso, decidimos iniciarlo”, detalla Garcete. La investigación es un estudio descriptivo transversal observacional constituido por un grupo de pacientes de entre 12 meses de edad y 6 años. Para ello, se utilizó el gabinete dental, la sonda de exploración, la jeringa de aire y la luz. Se exploró clínicamente a todos los niños/as y se calculó la prevalencia de caries.

La experta en Odontopediatría recomienda que “en cuanto aparezca el primer diente, empezar a cepillarlo con un cepillo suave de tamaño para niños con una pequeña cantidad de pasta dental con flúor para niños menores de 3 años y comenzar las visitas al dentista a partir de un año con revisiones cada seis meses, además de evitar el consumo de bebidas y refrescos azucarados”. Asimismo, los autores consideran de vital importancia los estudios de este tipo para ayudar a conocer la prevalencia y diferencia los estadios de la enfermedad con la idea de prevenir y evitarla.

“Con los resultados obtenidos en el estudio, podemos ser conscientes de que nos encontramos lejos de una población infantil libre de caries, por la alta prevalencia encontrada, por lo que es muy importante la prevención y el diagnóstico precoz”, indica Garcete. 

AINIA INVESTIGA INGREDIENTES BIOACTIVOS PARA PREVENIR LA CARIES DENTAL

Lacaries dental es un trastorno que padecen en torno a 2.000 millones de personas en el mundo para el que actualmente no existen soluciones específicas que actúen frente a los microorganismos que las causan. En el marco del proyecto Healthytooth, apoyado por el Instituto Valenciano de Competitividad Empresarial (IVACE) y los fondos FEDER, un equipo de AINIA está investigando potenciales ingredientes y/o compuestos bioactivos para productos cosméticos y productos de higiene personal, capaces de combatir a las bacterias causantes de la caries. En concreto, se está estudiando el uso de ingredientes bioactivos (compuestos enzibióticos) obtenidos a partir de virus bacteriófagos con efecto antimicrobiano específico, para desarrollar una estrategia que minimice los efectos de los patógenos causantes de diferentes patologías bucales, entre otros, la bacteria Streptococcus mutans.

Una alternativa a los antibióticos

La terapia fágica, es decir, el uso de bacteriófagos para combatir infecciones, ya se ha aplicado como alternativa a los antibióticos con resultados satisfactorios. Por lo que, en los últimos años, se está ampliando su uso ya que se ha demostrado que, además del uso del bacteriófago completo, se pueden utilizar los compuestos enzibióti-

cos que produce para degradar la pared del microorganismo diana de forma muy específica.

Entre las ventajas del uso de fagos están que, al actuar únicamente sobre la bacteria diana, no afecta al resto de la microbiota bucal, y no tienen efectos secundarios sobre el microbioma bucal; tampoco afectan a la microbiota intestinal ya que son compuestos seguros. Además, la probabilidad de aparición de resistencias a antibióticos es muy baja con este tipo de tratamientos. 

actualidad NOTICIAS 74 eldentistamoderno marzo 2023

SECIB Y SOCE COLABORARÁN PARA PROMOVER LA FORMACIÓN Y LA INNOVACIÓN

LaSociedad Española de Cirugía Bucal (SECIB) y la Sociedad Española de Odontología Digital y Nuevas Tecnologías (SOCE) han firmado un convenio de colaboración con el objetivo de estrechar los lazos científicos entre ambas instituciones y expandir su filosofía de calidad y docencia. Con la firma de este convenio SECIB y SOCE, además de estrechar lazos, se comprometen a difundir entre sus respectivos asociados toda la información concerniente a los congresos y eventos científicos relacionados con las dos sociedades, así como a ofrecerles ventajas económicas a la hora de realizar las inscripciones.

El presidente de SECIB, el Dr. Daniel Torres, ha señalado que “la odontología y la cirugía bucal, como no puede ser de otra manera, se benefician de la mejora de la tecnología, para dar cabida a mejores enfoques terapéuticos y aumentar así la calidad de la asistencia que prestamos a nuestros pacientes”. En este sentido, “trabajar de la mano con SOCE

en proyectos de interés comunes a ambas sociedades nos permitirá ser más potentes a la hora de dar acceso a nuestros socios y a los cirujanos bucales a los avances en el ámbito de la tecnología”, ha añadido el Dr. Torres.

Por su parte, el Dr. Rafael Vila, presidente de SOCE, ha celebrado el convenio firmado con SECIB, “ya que esta alianza permitirá la creación de vínculos científicos y la consolidación de la unión y la solidaridad entre ambas entidades”. En palabras del Dr. Vila, “este acuerdo es una muestra de la colaboración y del intercambio entre dos sociedades científicas que buscan un impacto positivo en el desarrollo y la innovación de la odontología en España”. 

LA FORMACIÓN EN SALUD DIGITAL, RETO PRESENTE Y FUTURO PARA LOS PROFESIONALES SANITARIOS

Consultas virtuales, recetas electrónicas o aplicaciones médicas son algunas de las herramientas que, especialmente a partir de la pandemia de COVID-19, cada vez son más comunes en los servicios de salud. A pesar de la incorporación progresiva de estos avances tecnológicos, la mejora de la alfabetización digital continúa siendo uno de los retos presentes y futuros de los profesionales en este ámbito. Investigadores de la Universitat Oberta de Catalunya (UOC) han participado en un estudio que ha diseñado una nueva herramienta para evaluar las competencias digitales de este colectivo en Cataluña, así como sus necesidades de formación.

“Conocer el nivel de competencia digital de los profesionales sanitarios es fundamental para promover políticas y acciones estratégicas relevantes en beneficio del rendimiento profesional. Los resultados de este estudio interdisciplinar, con expertos de la UOC en los ámbitos de la Salud y la Educación, se han recogido en el Plan de Salud de Cataluña 2021-2025 y servirán para establecer las bases para el desarrollo y el despliegue de un programa marco para las competencias digitales de los profesionales sanitarios”, explica Francesc Saigí, profesor de los Estudios de Ciencias de la Salud de la UOC, investigador del grupo Epi4health, colaborador del eHealth Center (eHC) y director del Centro Colaborador en Salud Digital de la Organización Mundial de la Salud, que ha participado en el trabajo.

Mayor competencia digital entre el personal más joven

La mayoría de los participantes valoraron su nivel de competencia digital como medio (47,8 %) o básico (44,5 %), mientras que en la prueba

de competencia la mayor parte tenía un nivel básico. El estudio también encontró diferencias según la edad: la competencia digital era más alta para los profesionales más jóvenes (entre 18 y 25 años).

“Esto evidencia que el uso de las tecnologías digitales en el ámbito personal favorece su uso en la práctica profesional”, añade Eulàlia Hernández, investigadora del grupo de investigación Behavioural Design Lab del eHealth Center de la UOC y profesora de los Estudios de Psicología y Ciencias de la Educación.

Formación más allá de las herramientas profesionales

El estudio también recoge información muy valiosa sobre cuáles son las herramientas digitales profesionales más utilizadas (herramientas ofimáticas, redes sociales y registros sanitarios electrónicos) y sobre cuáles de estas herramientas les gustaría recibir más formación, entre las que destacan las herramientas de prevención de enfermedades y promoción de la salud, herramientas ofimáticas, registros electrónicos de salud y herramientas de seguimiento remoto. Para Montse Guitert, estos resultados muestran que las necesidades formativas eran más amplias que la naturaleza de las principales herramientas digitales empleadas en la práctica profesional y que estas necesidades eran inversamente proporcionales a la frecuencia de uso. Para los investigadores, este es uno de los retos de la capacitación digital, puesto que no basta con dominar las herramientas profesionales. 

75 eldentistamoderno marzo 2023
Dr. Daniel Torres, presidente de SECIB, y Dr. Rafael Vila, presidente de SOCE.

EL DR. FLORENCIO MONJE, DIRECTOR DE LA TMJ SECTION DEL PRESTIGIOSO GRUPO SORG

El Dr. Florencio Monje, cirujano maxilofacial y profesor de la Facutad de Medicina de la Universidad de Extremadura (UEX), ha sido nombrado director de la TMJ Section del prestigioso grupo SORG (Strasbourg Ostesynthesis Research Group).

El Dr. Monje sustituye al profesor Andreas Neff, de la Universidad de Marburgo (Alemania), como director de una sección que agrupa todos los proyectos que tienen que ver tanto con la mandíbula como con la articulación temporomandibular (ATM).

El Dr. Monje es un profesional de referencia internacional en esta especialidad. El grupo SORG es una asociación de profesionales en

EN MARCHA LA SEXTA EDICIÓN DE LOS PREMIOS SANITAS DENTAL STAR

torno a la docencia e investigación en el campo de la Cirugía Maxilofacial, que se divide en varias secciones con diferentes subespecialidades. Cabe destacar que, aparte de la misión docente e investigadora, este grupo diseña acciones de carácter humanitario en aquellos lugares del mundo donde los especialistas pueden aportar tratamientos y materiales a la población con carencias sensibles.

El Dr. Monje ganó en 2018 el Premio Nacional de Medicina, es el presidente de la Sociedad Española de Cirugía Oral y Maxilofacial, y de Cabeza y Cuello (SECOMCyC) y director del Centro CICOM MONJE en Badajoz. 

MÁS DE 400 ODONTÓLOGOS SE REÚNEN PARA CONOCER LOS ÚLTIMOS AVANCES Y TENDENCIAS DEL SECTOR

Sanitas Dental ha lanzado la sexta edición de los Premios Sanitas Dental Star, unos galardones que, tras más de 5 años, se han convertido en referentes en el sector. Su objetivo principal es premiar la excelencia en Odontología en nuestro país. En concreto, se reconoce la labor de odontólogos, médicos estomatólogos y cirujanos maxilofaciales comprometidos con el buen hacer clínico y el buen trato al paciente.

Estos premios están abiertos a todo el sector, colaboren o no con Sanitas Dental y cuentan con tres categorías. Por un lado, la categoría Experta reconoce casos multidisciplinares de elevada complejidad. Está dotada con un premio de 10.000 euros y un segundo premio, accésit, de 7.000 euros. La categoría Academic, dirigida a alumnos de posgrado, está dotada con 7.000 euros para el primer premio y 5.000 euros para el accésit. Por último, la categoría Daily Clinic tiene como objetivo premiar la excelencia en la práctica clínica del día a día y está premiada con 7.000 euros para el mejor caso y con 5.000 euros para el accésit.

La introducción de los accésits en las categorías Daily Clinic y Academic es la novedad de esta edición y está motivada por el elevado nivel de cantidad y calidad de los casos presentados en las últimas ediciones. El envío de casos a cada una de las tres categorías de estos galardones estará abierto hasta el 30 de septiembre de 2023. 

Enesta segunda edición de la convención anual organizada por Donte Group para su marca Vitaldent, más de 400 profesionales han podido conocer los últimos avances y nuevas tendencias del sector bucodental, tales como los avances en autotransplante dental, la importancia de la planificación multidisciplinar de los tratamientos y el papel del flujo digital en la planificación del tratamiento. La inauguración del evento, celebrado en Madrid, contó con la presencia de Javier Martín Ocaña, CEO de Donte Group, y la Dra. Clara Esteban Escobar, directora médica del grupo. La jornada contó con la participación de cinco renombrados doctores: el Dr. Francesc Abella, odontólogo experto en endodoncia, odontología restauradora y estética, director del Máster Europeo de Endodoncia en la UIC y secretario de la Sociedad Española de Odontología Conservadora; el Dr. Iván Malagón, odontólogo especialista en ortodoncia, ortopedia y cirugía ortognática maxilo-mandibular y miembro del comité de desarrollo del sistema Spark, pionero en España y Portugal; el Dr. Ramón Mompell, miembro del equipo de investigación del departamento de ortodoncia y ortopedia de la Universidad de California Los Angeles (UCLA) y de Forsyth Institute de la Universidad de Harvard (HU), y fundador y director clínico de la Digital MARPE Association; el Dr. Armando Lopes, odontólogo especialista en cirugía oral y rehabilitación con implantes y director Médico de la MALO CLINIC en Lisboa; y el Dr. César Colmenero, reconocido como uno de los cirujanos maxilofaciales y otorrinolaringólogos de más prestigio en España y responsable del servicio de Cirugía Maxilofacial del Hospital Ruber Internacional y del Hospital Nuestra Señora de América en Madrid. 

actualidad NOTICIAS 76 eldentistamoderno marzo 2023
En la imagen, los Dres. Florencio Monje (dcha.) y Andreas Neff (izq.).

EL III CONGRESO “LOS ORÍGENES” DE KNOTGROUP

TENDRÁ LUGAR EN VIGO EL PRÓXIMO 27 DE MAYO

La alianza internacional de clínicas dentales de referencia Knotgroup celebrará el próximo día 27 de mayo en Vigo la tercera edición de su congreso bienal “Los Orígenes”, una cita que cada dos años reúne a cientos de profesionales del sector.

La relación entre la Odontología y la Medicina ha estado, sin duda, reconocida a lo largo de la historia de la humanidad. Sin embargo, el conocimiento de la salud oral y sus implicaciones en la salud integral de los pacientes, todavía hoy, no tiene el peso que debiera en el sector y en la propia sociedad.

“Desde Knotgroup siempre hemos pensado que la Odontología forma parte indisociable de la Medicina, no pudiendo entenderse la una sin la otra. Forman parte de un todo, de un mismo Origen. Y de esto es

de lo que trata el III Congreso Knotgroup, de la relación de la Odontología con otras especialidades médicas”, explican desde Knogroup. Además, durante el Congreso se abordarán temas de otras áreas esenciales de los Orígenes de todas las clínicas Knotgroup: Medicina, Tecnología, Innovación y Equipos.

Más de 20 especialistas de prestigio de diferentes especialidades y ponentes internacionales participarán en el evento. El Dr. Pedro Guitián, Director Médico del Centro Médico Odontológico Guitián en Vigo y miembro de Knotgroup, será el presidente del Congreso. Y el Dr. Carlos Aparicio, Dr. Juan Carlos Pérez Varela y el ginecólogo Dr. Roque Devesa Hermida, entre otros, participarán en el Congreso. 

LAS AGRESIONES A LA PROFESIÓN MÉDICA BATEN RÉCORD EN 2022

Con motivo del Día Europeo Contra las Agresiones a Médicos y Profesionales Sanitarios, que se celebra el día 12 de marzo, el Consejo General de Médicos (CGCOM) ha presentado los datos registrados durante 2022, unas cifras que baten el récord histórico de agresiones a la profesión médica, con 843 acciones violentas comunicadas a los colegios de médicos, lo que supone un 38% más que el año anterior.

El Observatorio Contra las Agresiones del CGCOM recogió en 2022 un total de 843 agresiones, 231 más que el año anterior, lo que sitúa la cifra total desde 2010 en 6.492 agresiones.

El Dr. José María Rodríguez Vicente, secretario general del CGCOM y miembro del Observatorio Nacional de Agresiones, ha presentado los datos dentro de la primera jornada europea de agresiones al personal sanitario que ha contado con representantes de otras órdenes médicas de la Unión Europea.

De todas las agresiones sufridas, el 61% corresponde a mujeres, un dato que consolida la tendencia de los últimos años en los que las mujeres sufren la mayor parte de las agresiones.

El ámbito de la Atención Primaria las agresiones representan el 43 % de los casos, un porcentaje que, aunque experimenta un descenso a nivel nacional, no es homogéneo en todas las CCAA. Por detrás se sitúan los Hospitales que sube cinco puntos y se coloca en el 27%, por delante de Urgencias de Hospitales (9%) y Urgencias de Atención Primaria (8%). Respecto a los diferentes tipos de agresiones sufridas, en el 84% de los casos se produjeron insultos y amenazas, mayoritariamente a mujeres, mientas que el 16% restante fueron agresiones que acabaron en lesiones físicas, sufriéndolas en un 56% las mujeres y un 44%

los hombres. Cabe destacar el aumento registrado en lesiones (+3%). De todas las agresiones recibidas y comunicadas acabaron en baja laboral el 10% de las mismas.

Dos de cada diez agresiones no están relacionadas con atención médica o cuestiones asistenciales. Dentro de este ámbito “estructural” destaca con un 64,3% el tiempo en ser atendido, seguido de un mal funcionamiento del centro (24%) y de aquello relacionado con los protocolos COVID-19 (11,7%).

Dentro de las causas asistenciales de nuevo la principal causa de la agresión es la discrepancia con la atención médica recibida que se sitúa en el 53%. También son motivos de agresiones las discrepancias personales (13,8%); no recetar lo propuesto por el paciente (12,4%), aquello relacionado con la incapacidad temporal (10,6%) y, por último, informes no acordes a las pretensiones (9,9%).

Respecto al tipo de ejercicio en el que se ha producido las agresiones en el año 2021, también mantienen datos similares a los de años anteriores con una clara preponderancia del ejercicio público (89%) frente al privado (11%). De todas las agresiones, el 95,1% se producen en horario y entorno laboral. En la distribución por edades el informe resalta que el mayor aumento por rango de edad se ha producido entre los colegiados más jóvenes (menos de 35 años) que ya representan una cuarta parte de los agredidos (25,4%).

Otro dato que pone en relieve el informe de 2022 y que continúa con la línea ascendente de años anteriores es que cada vez más profesionales reciben apoyo por parte del centro de trabajo. En concreto en 2021 el 67%, seis puntos más que el año anterior, un dato que marca nuevo récord. 

77 eldentistamoderno marzo 2023

Ticare Perio Hybrid, el implante de Ticare para el paciente de riesgo

Ticare lanza al mercado Ticare Perio Hybrid, el implante para el paciente de riesgo que cuenta con gapZero®, basándose en estudios científicos y clínicos. Entre los beneficios de este implante para el paciente, desde Ticare destacan los siguientes: cero remodelación ósea y mejor predictibilidad ante situaciones adversas.

El Prof. Mariano Sanz, director de la Cátedra UCM-Ticare, presentó los resultados del estudio con implantes Ticare Inhex y Ticare Perio Hybrid aceptado para publicación en Journal of Clinical Periodontology. También destaca el estudio con implantes híbridos Ticare publicado en Journal of Periodontal Research, en el que participan el Dr. Alberto Monje y el Dr. Daniel Buser, entre otros. En palabras del Prof. Mariano Sanz, “si conozco que hay un grupo de pacientes que tienen más riesgo de tener

Guisurg acerca la cirugía guiada de implantes a todos los dentistas

Guisurg, empresa online dirigida al sector dental para realizar planificaciones de cirugía guiada de implantes dentales y férula quirúrgica.

Cuando un dentista requiere a Guisurg para la planificación de un caso de implantes, requiere en su ordenador dos archivos: el archivo 3D del estudio radiológico en formato Dicom y el archivo STL del escaneado del maxilar a tratar.

En la actualidad, prácticamente todos los implantólogos realizan un estudio radiológico 3D para estudiar el caso de su paciente, bien disponiendo del equipo en su propia clínica o bien encargando a un radiólogo. Estos estudios suelen estar en formato Dicom, que es el estándar en imágenes médicas, o bien son fácilmente exportables al mismo, desde el software de visualización. Menos frecuente es que la clínica dental disponga de escáner, ya sea intraoral o de sobremesa. En este caso, su laboratorio de prótesis, se lo escaneará, ya que la casi totalidad de ellos disponen de esta tecnología y por correo electrónico le enviarán el archivo STL obtenido del escáner. Una vez registrado en la web de Guisurg, el dentista depositará en la ella los archivos. En un plazo máximo de 8 días, el dentista recibe un correo, avisando de que ya dispone de la planificación en formato PDF. Si esta planificación es aceptada, el dentista puede entrar en la pasarela de pago y obtener el archivo STL de la férula quirúrgica inmediatamente. Si la planificación es rechazada, Guisurg realizará una segunda propuesta que será enviada igualmente al dentista. Si es rechazada por segunda vez se cerrará el caso. Y si la documentación recibida por Guisurg no es adecuada para realizar la planificación, o el caso se considera no viable de tratar con implantes, será devuelta de manera razonada al dentista.

Guisurg

www.guisurg.com

enfermedades periimplantarias, fundamentalmente pacientes que han tenido historia de enfermedad periodontal (de periodontitis), pacientes fumadores o pacientes que tienen factores de riesgo sistémicos…, sé que estos pacientes tienen más riesgo de tener periimplantitis; y quizás sea razonable no utilizar implantes convencionales, sino implantes que tengan una superficie que se ha demostrado que acumula menos cantidad de placa dental. Y esto es lo que estamos investigando, la línea de implantes híbridos que ha desarrollado Ticare para el tratamiento de pacientes de riesgo”.

Ticare www.ticareimplants.com

Continúan las promociones

Kerr Iberia para beneficiarse de interesantes descuentos

No se pierda el catálogo de promociones de Kerr Iberia, disponible hasta abril de 2023, para beneficiarse de interesantes descuentos en todo tipo de soluciones para simplificar su práctica.

En este número destacan:

• La simplicidad en Restauración con el composite SimpliShade, el adhesivo OptiBond Universal, las matrices SuperMat, la lámpara de polimerización LED Demi Plus y el sistema de discos pulidores Optidisc.

• La solución Kerr Endo para instrumentar y obturar el conducto radicular con Limas ZenFlex y el sistema de obturación elements IC.

• La amplia gama en barreras de protección Pinnacle y los sujeta baberos desechables Bib-Eze, que reducen el riesgo de contaminación cruzada.

Promociones válidas desde el 1 de enero hasta el 30 de abril de 2023.

Kerr Iberia www.kerrdental.com

MATERIALES, INSTRUMENTAL Y EQUIPO 78 eldentistamoderno marzo 2023
novedades

Instrucciones para publicar en “El Dentista Moderno”

OBJETIVOS

El Dentista Moderno es una publicación dirigida al odontólogo profesional. Sus objetivos son la difusión y el intercambio de los conocimientos más avanzados en el campo dental, buscando alcanzar una actualización permanente sobre todas las cuestiones que atañen a su profesión con especial importancia en la actividad clínica.

TIPOLOGÍA DE LOS ARTÍCULOS

El Dentista Moderno, se rige por las normas de calidad para la indexación de revistas científicas españolas, buscando principalmente los siguientes tipos de artículos:

n Artículo de investigación científica y tecnológica. Documento que presenta, de manera detallada, los resultados originales de proyectos terminados de investigación.

n Artículos sobre descripciones de nuevas metodologías o técnicas y/o materiales.

n Artículos sobre casos clínicos. En los que se espera que se presenten situaciones clínicas particulares tanto por sus hallazgos como por su tratamiento.

n Artículos de revisión sobre literatura ya publicada.

POLÍTICAS EDITORIALES

n Originalidad.

Todos los artículos o reseñas que se sometan al proceso de arbitraje de El Dentista Moderno deben ser inéditos. Solicitamos a los autores abstenerse de remitir trabajos que ya han sido publicados parcial o completamente por otros medios -salvo publicaciones en línea de documentos de trabajo (working papers)- o en traducciones a otros idiomas. Si se detectan evidencias de documentos similares o idénticos ya publicados, el trabajo será rechazado automáticamente.

n Sistema de arbitraje.

Todos los artículos que se presenten a la revista para sus ediciones serán sometidos a un proceso de arbitraje “doble ciego” que se realizará con ayuda de pares expertos en cada temática. La participación de los pares será ad honórem y se espera que sea asumido como un pacto de reciprocidad académica, en el que se intenta aportar de manera constructiva a fortalecer (y validar) la investigación y los aportes de otros colegas dentro de la disciplina. En el caso de las reseñas, que son documentos de difusión, podrán ser revisadas por el editor mismo o por otros miembros del equipo editorial de la revista. Su publicación se decidirá de acuerdo con su coherencia temática y textual, su relevancia para el área o según el interés o vigencia de la discusión que proponga. n Exclusividad.

Los artículos que se sometan a arbitraje en El Dentista Moderno no pueden estar siendo evaluados por otras revistas, ni deben presentarse de manera simultánea a otros procesos de arbitraje. n Confidencialidad.

Como el arbitraje se realizará a través de un sistema “doble ciego”, con el fin de garantizar una mayor independencia de la partes (ni los autores ni los evaluadores tendrán entre sí datos de su identidad, perfil académico o procedencia), esa información solo será tratada por los responsables de la revista y no se revelará a terceras partes. Los soportes del proceso de cada artículo se conservarán para efectos de indexación o verificación del arbitraje.

PAUTAS DE PRESENTACIÓN

La solicitud de publicación de cualquier trabajo debe ir acompañada de una carta, firmada por los autores, donde se exponga y declare que el artículo es original y que no está sujeto a una posible publicación en otras revistas. Al mismo tiempo, se debe ceder la propiedad literaria a la editorial, que podrá disponer del trabajo para su publicación en su totalidad o en parte, en España y en el extranjero, sin previa comunicación a los autores.

Si el artículo aparece encabezado por una Institución, la carta debe contener la aprobación del director o de otro posible responsable de la misma.

Los artículos deberá atenerse al siguiente estructura:

n Título y eventual subtítulo:

En una página aparte, con nombres y apellidos de los autores y sus diferentes datos de contacto: teléfono, fax y eventual dirección de e-mail. El título podrá sufrir, por necesidades de espacio, pequeñas variaciones de redacción.

n Resumen:

Deben ser de 250 palabras y comprender, en forma discursiva, los siguientes subcapíulos: objetivos, metodología, resultados y conclusiones para las investigaciones originales; En el caso de las actualizaciones de la literatura ya publicada, deben comprender: objetivos, datos, fuentes, selecciónde los artículos analizados y conclusiones.

n Palabras clave:

En la página del título deberán incluirse también las palabras clave, hasta un máximo de diez.

n Introducción:

Repasará de manera concisa las problemáticas en cuestión mediante una sucinta revisión de la bibliografía reciente y pertinente, el estado actual de los conocimientos y los fines y los objetivos de la investigación propuesta.

n Materiales y metodología:

Se realizará una descripción detallada de los materiales y las metodologías utilizadas. Si las metodologías son ya utilizadas por otros autores es necesario mencionar el trabajo de las que se extraen.

n Resultados:

Exponer de manera clara y concisa los resultados del trabajo, si fuera posible con un análisis estadístico detallado y con la ayuda de oportunas tablas y gráficos.

n Debate:

Recogerá los comentarios de los resultados obtenidos y las comparaciones con otros presentes en literatura. En el debate deberán estar presentes las virtudes y los límites de la metodología utilizada, la importancia de los resultados y sus cotejos clínicos, las hipótesis y las implicaciones futuras.

n Conclusiones:

Significación de los resultados y su aplicabilidad clínica.

n Idiomas:

Serán aceptados los artículos escritos en español y en inglés.

n Extensión:

Los artículos podrán tener una extensión mínima de cuatro mil palabras (4000) y máxima de ocho mil (8000). Las reseñas críticas no deben superar las mil quinientas palabras (1500).

79 eldentistamoderno marzo 2023
instrucciones para publicar

n Formato del texto:

El texto ha de enviarse en Word o rtf, con las tablas y gráficos elaborados con Office pegados en ellos. Además de pegarlas en el Word (rtf, odt...), las fotos y otros materiales gráficos deben enviarse aparte [siempre en la versión

n ORIGINAL

De la aplicación utilizada: Photoshop, PowerPoint, Acrobat, Excel...]. Las fotos y capturas deben ir en ficheros jpg, con una resolución de unos 300 ppp (para tener una idea, cada foto, ilustración o pantallazo en jpg debe tener unos 200 KB como mínimo). También se admiten ilustraciones en pdf (siempre con el fichero original pdf separado, y además pegadas en el Word).

Nota muy importante: Una vez pegadas en el Word (o rtf, odt...) las imágenes ya no pueden publicarse impresas en papel. Por ello no puede cumplirse el requisito anterior de enviar ficheros sueltos jpg a base de volver a copiar una imagen ya pegada.

n Vídeo:

Se aceptan películas con los siguientes requisitos: Formato: Flash vídeo; resolución: 640X480 pixel -24 frame/segundo; video mínimo: 750 kbit/sec; audio mínimo: 64 kbit/sec. Duración máxima 5 minutos. Los vídeos serán incluidos en la versión digital de la publicación.

n Envío:

Junto con el artículo, cada uno de los autores incluirá un breve curriculum con sus datos de contacto. El archivo original y sus adjuntos deben ser remitidos a la atención del editor de la revista y al correo electrónico: silvia.decastro@tecnipublicaciones.com.

ESTILO DE CITACIÓN: BMJ-NORMAS VANCOUVER

n Cuerpo del texto:

Aunque no es necesario en las Normas Vancouver mencionar al autor (es) cuando se hace una referencia en el cuerpo del texto, El Dentista Moderno, para evitar confusiones gramaticales o de redacción, prefiere que en la mayoría de los casos se mencionen los apellidos de los autores de los cuales se están tomando ideas, y después se inserte entre corchetes el número de la referencia completa que debe aparecer en el listado final del artículo. Por ejemplo: “Ortiz [1] presenta una metodología para el análisis de este tipo de problemas”. A propósito, todas las referencias que se incorporen en el cuerpo del texto deben relacionarse en la lista de referencias del final del artículo. Igualmente, en el listado de referencias no debe aparecer bibliografía que no se haya usado y citado en el texto (es decir, la correspondencia entre ambas partes debe ser exacta). Las referencias que se vayan incorporando en el texto se deben numerar por orden de aparición entre corchetes “Ortiz [1], Grothendieck [2], Gómez [3] “, y deben organizarse de esa forma en el listado final, no por orden alfabético. Por último, si una misma referencia se usa varias veces en el cuerpo del texto pero es necesario incorporar nueva información sobre el apartado del texto al que se refiere o alguna otra particularidad, se debe indicar luego del número de la referencia, así: “Ortiz [1, p. 84] o Ortiz [1, Fig. 16]”.

n Listado de referencias:

El listado de referencias debe organizarse por orden numérico que se determina de acuerdo con la aparición de cada referencia en el texto (el primer autor o texto que se cita es el número [1], el segundo el [2] y así sucesivamente). A diferencia de otros estilos, como no hay una organización alfabética de las referencias por apellido, los nombres de los autores deben registrarse comenzando por el apellido y las iniciales de su nombre: “[2] Grotendieck A.”. A continuación, mostraremos el esquema de cómo se debe citar

un libro, un capítulo de libro y un artículo de revista, con algunos ejemplos para cada caso:

n Libro:

Apellidos AA. Título. # ed. Ciudad: Editorial; año.

[1] Gardner E, Simmons MJ, Snutad DP. Principies of genetics. 8th edition. New York: John Willey & sons; 1995.

n Capítulo libro:

Apellidos AA, Apellidos BB. Título del capítulo o la entrada. En: Apellidos AA, Apellidos BB, editores. Título del libro. Ciudad: Editorial; año. p. xx-xx.

[1] Prins R, Clarke RT. Microbial ecology or the rumen. En: Ruckebusch P, Thivend B, editors. Digestive physiology and metabolism in ruminants. 2a ed. Wesport,Connecticut: AVI Publishing company; 1980. p. 179-204.

n Artículo revista:

Apellidos AA, Apellidos BB, Apellidos CC. Título del artículo. Título. Rev. Año; volumen(número): xx-xx.

[1] Corona M, Díaz G, Paez J, Ferré Z, Ramones E. Extracción y caracterización de pectinas de la corteza de parchita. Rev. Odont. 1996; 13(6): 785-791.

Las Normas Vancouver sugieren que las revistas que se citen en la lista de referencias aparezcan en su forma abreviada, por lo tanto El Dentista Moderno sugiere que se revisen los siguientes enlaces:

http://www.erevistas.csic.es/especial_revistas/revistas54.htm

http://www.metodo.uab.cat/docs/Requisitos_de_Uniformidad.pdf

http://www.metodo.uab.cat/docs/Requisitos_de_Uniformidad_ Ejemplos_de_referencias.pdf

NOTA LEGAL

Las perspectivas o puntos de vista expresados en los artículos y textos que publica El Dentista Moderno son responsabilidad de sus autores y no comprometen en ninguna medida a la revista, a la Grupo TecniPublicaciones. Asimismo, el propósito fundamental de la revista es prestar un servicio a la comunidad académica y al avance del conocimiento en odontología, por lo que el proceso de selección del material que publica contempla aspectos académicos, editoriales y legales que son evaluados en cada caso para decidir sobre los manuscritos que se reciben. Supeditada a estos factores, la revista no está obligada a la publicación de ningún texto y podrá declinar su publicación en cualquier fase del proceso, si estima que no corresponde a su línea editorial o si contradice alguna de sus políticas editoriales. De igual forma, cualquier reclamación por parte de terceros en relación al uso de obras o extractos de ellas en un artículo o texto, será responsabilidad de los autores exonerando así al Grupo TecniPublicaciones.

REPRODUCCIÓN Y TRADUCCIONES

Si usted desea reproducir o traducir un artículo o texto publicado en El Dentista Moderno,o si desea solicitar autorización para que sea difundido por alguna página web o repositorio institucional,por favor escriba al correo electrónico de la revista (documentacion@tecnipublicaciones.com), a la atención de la directora de Documentación. Los textos publicados en la revista, no obstante, no requieren una autorización especial para que sean reproducidos parcialmente en textos académicos, siempre y cuando se citen adecuadamente, relacionando sus autores, año de publicación, volumen y número en el que fueron publicados originalmente. Cualquier otro tipo de utilización requerirá de la autorización previa y expresa de la Editorial.

instrucciones para publicar 80 eldentistamoderno marzo 2023
HUYENDO DE UCRANIA TE NECESITAN EMERGENCIA EN UCRANIA DONA AHORA EN Bizum – Código: 01151 ayudaucrania.com ES86 2100 2262 1802 0040 3932
LAS PERSONAS QUE ESTÁN

Turn static files into dynamic content formats.

Create a flipbook
Issuu converts static files into: digital portfolios, online yearbooks, online catalogs, digital photo albums and more. Sign up and create your flipbook.