El Dentista Moderno - nº 72

Page 1

@dentistamoderno @eldentistamoderno

@eldentistamoderno @eldentistamoderno

www.eldentistamoderno.com

ENTREVISTAS

• Dr. Iñigo Gómez Bollain, presidente de SEdO Bilbao 2023

• Dra. Elena González Canal, presidenta del XXXIII Congreso Anual de SEDCYDO

• Dra. Marta Ribelles, presidenta del Comité Organizador de la XLIV Reunión Anual de SEOP Castellón 2023

MULTIDISCIPLINAR

IMPLANTOLOGÍA

IMPLANTES CIGOMÁTICOS

D4.0

ENTREVISTA A LA INDUSTRIA

DENTAL: Juan de Dios Briones, fundador y director general de Salugraft

PENSANDO EN EL FUTURO

GESTIÓN, COMUNICACIÓN Y MARKETING

Siguiendo la evolución de la Odontología para el profesional del sector llamado a construir el futuro

N úmero 72 • Enero/Febrero 2023

Información para decidir

Información para decidir

Solo aquella información basada en la responsabilidad y la calidad nos hace libres para tomar las mejores decisiones profesionales. En ConeQtia, entidad colaboradora de CEDRO, garantizamos contenido riguroso y de calidad, elaborado por autores especializados en más de 30 sectores profesionales, con el aval de nuestros editores asociados y respaldando el uso legal de contenidos. Todo ello con la nalidad de que el lector pueda adquirir criterio propio, facilitar la inspiración en su labor profesional y tomar decisiones basadas en el rigor.

Por este motivo, todos los editores asociados cuentan con el sello de calidad ConeQtia, que garantiza su profesionalidad, veracidad, responsabilidad y abilidad.

Solo aquella información basada en la responsabilidad y la calidad nos hace libres para tomar las mejores decisiones profesionales. En ConeQtia, entidad colaboradora de CEDRO, garantizamos contenido riguroso y de calidad, elaborado por autores especializados en más de 30 sectores profesionales, con el aval de nuestros editores asociados y respaldando el uso legal de contenidos. Todo ello con la nalidad de que el lector pueda adquirir criterio propio, facilitar la inspiración en su labor profesional y tomar decisiones basadas en el rigor.

Por este motivo, todos los editores asociados cuentan con el sello de calidad ConeQtia, que garantiza su profesionalidad, veracidad, responsabilidad y abilidad.

coneqtia.com
Con la colaboración de:
1 eldentistamoderno enero/febrero 2023 BTI Biotechnology Institute Tel: (+34) 945 140 024 | info@bticomercial.com | bti-biotechnologyinstitute.es

sumario

DM eldentistamoderno

Número 72 - Enero/Febrero 2023

En portada:

Fotos 8 y 9 de la página 15, correspondiente al caso de Multidisciplinar, titulado “Tratamiento multidisciplinar de un paciente con periodontitis estadio III grado C”

6 EDITORIAL

Nos toca transformar

Por Dr. Imanol Donnay, Director Científico de DM El Dentista Moderno.

8 ENTREVISTA

“SEdO Bilbao 2023 será un momento ideal para poder compartir con el resto de las especialidades el estado actual de la Ortodoncia”

Dr. Iñigo Gómez Bollain, presidente de SEdO Bilbao 2023

12

MULTIDISCIPLINAR

Premio Sanitas Dental Star en la categoria “Experta” Tratamiento multidisciplinar de un paciente con periodontitis estadio III grado C

Autor: Dr. Antonio Nobili

24 ENTREVISTA

“En SEDCYDO Gijón 2023 se actualizarán conocimientos y los últimos avances en la especialidad”

Siguiendo la evolución de la odontología

DIRECTORA

Emiliana Rodríguez Charmes emi.rodriguez@eldentistamoderno.com

SUBDIRECTORA

Beatriz Suárez de la Vega beatriz.suarez@eldentistamoderno.com

REDACCIÓN Y FOTOGRAFÍA

Departamentos propios Versys Ediciones Técnicas

DIRECTOR CIENTÍFICO

Imanol Donnay

COMITÉ CIENTÍFICO

Javier de la Cruz, José Nart, Jesús Daniel Parejo, Juan López Palafox, Miguel Burgueño, Juan Manuel Vadillo, Guillermo

Galván, Rafael Martínez de Fuentes, Anna Ramiro, Carlos Repullo, Leticia Rodríguez, Marta Revilla, José María Malfaz, Eva Mª Martínez y Eva López de Castro

DISEÑO Y MAQUETACIÓN

Manuel Beviá

DIRECTORA COMERCIAL ÁREA DE DISTRIBUCIÓN

Mercedes Álvarez mercedes.alvarez@versysediciones.com

DIRECTORA DE CUENTAS DM

Emiliana Rodríguez Charmes emi.rodriguez@eldentistamoderno.com

EJECUTIVA DE CUENTAS DM

Beatriz Montero Fernández de Bobadilla beatriz.montero@eldentistamoderno.com

Dra. Elena González Canal, presidenta del XXXIII Congreso Anual de SEDCYDO

28 IMPLANTOLOGÍA

Algoritmo diagnóstico y terapéutico en patologías periimplantarias

Autores: Dr. Erik Regidor, Dr. Alberto Ortiz-Vigón, Dra. Ángela Redondo, Idoia Ayllón, Mª Carmen Blanco y Silvia Justel.

38 ENTREVISTA

“SEOP 2023 se presenta con un enfoque multidisciplinar en el tratamiento odontopediátrico”

Dra. Marta Ribelles, presidenta del Comité Organizador de la XLIV Reunión Anual de SEOP Castellón 2023

42 OPINIÓN

Implantes cigomáticos: evolución, optimización y perfeccionamiento

Por: Dr. Vladimir García Lozada

46 CONTEXTO ECONÓMICO

El impacto de la inflación en el sector Consumer Health

eldentistamoderno enero/febrero 2023

2
SUMARIO
EL DENTISTA MODERNO NÚM. 72 ENERO-FEBRERO 2023 ENTREVISTAS Dr. Iñigo Gómez Bollain, presidente de SEdO Bilbao 2023 Dra. Elena González Canal, presidenta del XXXIII Congreso Anual de SEDCYDO • Dra. Marta Ribelles, presidenta del Comité Organizador de la XLIV Reunión Anual de SEOP Castellón 2023 MULTIDISCIPLINAR IMPLANTOLOGÍA IMPLANTES CIGOMÁTICOS www.eldentistamoderno.com Siguiendo la evolución de la Odontología para el profesional del sector llamado a construir el futuro N úmero 72 • Enero/Febrero 2023 @dentistamoderno @eldentistamoderno D4.0 ENTREVISTA A LA INDUSTRIA DENTAL: Juan de Dios Briones, fundador y director general de Salugraft PENSANDO EN EL FUTURO GESTIÓN, COMUNICACIÓN Y MARKETING
ULTRADENT.ES | info@ultradent.es 696 616 752 Área Norte - 616 982 237 Área Levante - 699 888 731 Área Centro MÁS ESTUDIADO Y PROBADO QUE CUALQUIER BLANQUEADOR DENTAL PROFESIONAL

sumario

Impresión: Gama Color

Depósito Legal: M-33444-2013

ISSN: 2340-9703

ISSN (internet): 2340-9797

84

Versys Ediciones Técnicas S.L. Invierno, 17

28850 Torrejón de Ardoz (+34) 912 972 000 administracion@versysediciones.com

CEO

José Manuel Marcos Franco de Sarabia

DIRECTORA DE OPERACIONES

Esther Crespo

DIRECTOR DE EXPANSIÓN Y DESARROLLO

José Manuel Marcos de Juanes

ACTUALIDAD DEL SECTOR DENTAL

94 NOVEDADES

Equipamiento, instrumental y material protésico, dental y clínico

DENTISTA 4.0

66

Copyrigth Versys Ediciones Técnicas S.L. La suscripción a esta publicación autoriza el uso exclusivo y personal de la misma por parte del suscriptor. Cualquier otra reproducción, distribución, comunicación pública o transformación de esta publicación sólo puede ser realizada con la autorización de sus titulares. En particular, la Editorial, a los efectos previstos en el art. 32.1 párrafo 2 del vigente TRLPI, se opone expresamente a que cualquier fragmento de esta obra sea utilizado para la realización de resúmenes de prensa, salvo que cuente con la autorización específica. Diríjase a CEDRO (Centro Español de Derechos Reprográficos) si necesita fotocopiar, escanear, distribuir o poner a disposición de otros usuarios algún fragmento de esta obra, o si quiere utilizarla para elaborar resúmenes de prensa (www.conlicencia.com; 917021970/932720447)

Las opiniones y conceptos vertidos en los artículos firmados lo son exclusivamente de sus autores, sin que la revista los comparta necesariamente.

ENTREVISTA A LA INDUSTRIA DENTAL

“Salugraft lidera la introducción y formación en el uso de soluciones regenerativas innovadoras”

Juan de Dios Briones, fundador y director general de Salugraft

72 PENSANDO EN EL FUTURO

Tecnología para dar forma a la odontología del mañana

Por: Dr. Martin Ravets, fundador y director ejecutivo de Dentaverse

78

GESTIÓN, COMUNICACIÓN Y MARKETING

Las redes sociales y nuevas vías de comunicación con el paciente en la odontología

Por: Dr. Simón Pardiñas López, creador de Dentalk.tv

En portada D4.0: Imagen de la página 72 correspondiente al artículo de Pensando en el futuro, titulado “Tecnología para dar forma a la odontología del mañana”

Fotografía el código QR con el lector de tu smartphone para acceder a El Dentista Moderno

eldentistamoderno enero/febrero 2023

4
SUMARIO
Siguiendo
ENTREVISTA A LA INDUSTRIA DENTAL “Salugraft lidera la introducción formación en el uso de soluciones regenerativas innovadoras” Juan de Dios Briones, fundador y director general de Salugraft GESTIÓN, COMUNICACIÓN Y MARKETING Las redes sociales y nuevas vías de comunicación con el paciente en la odontología Dr. Simón Pardiñas López creador de Dentalk.tv PENSANDO EN EL FUTURO Tecnología para dar forma a la odontología del mañana Dr. Martin Ravets, fundador y director ejecutivo de Dentaverse
la evolución de la Odontología para el profesional del sector llamado a construir el futuro
Premio de Comunicación SECIB 2019

YA DISPONIBLE EXPADENT APP

Hemos mejorado nuestro sistema de gestión, y ahora cualquiera de nuestros clientes podrán realizar los pedidos directamente desde nuestra aplicación, intuitivamente.

También permite hacer un seguimiento total del proceso de fabricación y de envío del pedido realizado.

5 eldentistamoderno enero/febrero 2023 ENVÍANOS TUS IMPRESIONES DIGITALES: LÍDERES EN LA ELABORACIÓN DE PRÓTESIS DENTALES Corona de zirconio 59,90 € 49,90 € Antes Ahora  +34 910 059 139  info@expadent.com www.expadent.com *Las fotografías de este anuncio corresponden a trabajos realizados en nuestro laboratorio
AHORA QUE
TODO SUBE, NOSOTROS BAJAMOS PRECIOS

NOS TOCA TRANSFORMAR

Recuerdo a menudo con mucho cariño aquellos inicios de mi carrera universitaria como futuro odontólogo. Entre el desconocimiento por un lado y la ilusión por otro, transcurrieron cinco años llenos de descubrimientos conforme pasaba el tiempo. El conocimiento adquirido, las primeras prácticas, las conversaciones con el profesorado, las experiencias que nos trasladaban... Todo se unía en un futuro que se presentaba como las puertas entreabiertas de un paisaje por descubrir. En aquellos años 90 –en mi caso al menos– la odontología y nosotras y nosotros, como futuros odontólogos, mirábamos al futuro con ansias de cambio.

Soñábamos con nuestras primeras sesiones con pacientes, queríamos sentarnos al lado de aquellos odontólogos que comenzaban a situarse en nuestro pódium de referentes del sector y también, por qué no admitirlo, comenzábamos a vislumbrar esos “¿Y si …?” con forma de nuestros propios proyectos personales y profesionales como clínica dental. Si algo destacaba de manera transversal a todos estos pensamientos y experiencias previas eran las ganas por transformar un sector que necesitaba aire fresco, y éramos precisamente aquellos noveles odontólogos quienes podríamos abrir estas ventanas con toda la ambición de quien se cree protagonista de la transformación.

Hoy, casi 30 años después, con circunstancias absolutamente diferentes que entonces, con una experiencia probada y reconocida de muchas y muchos de nosotros, vivo una situación similar. El sector ha progresado como imaginamos en muchos casos, la tecnología nos demuestra cada semana un nuevo hito de progreso, el conocimiento de nuestros tratamientos y la investigación desarrollada a tal efecto toma un lugar esencial en nuestras lecturas y estudios diarios. La odontología actual constata una evolución sin dudas en nuestro país. De aquella odontología que estudiábamos a la actual hay una evidente mejora, pero siento especialmente que estamos en este inicio de 2023 ante una situación similar a la que estábamos entonces. El sector requiere de nuevos pasos, de nuevos desafíos, de renovadas ilusiones para situar a la odontología aún más en el pódium del prestigio de la salud del país.

Si por aquel entonces conocimientos y tecnología eran los tractores de la transformación del sector; hoy, sin lugar a duda, lo serán nuestros pacientes, que nos exigen y nos exigirán a cada una y cada uno de nosotros a mejorar más si cabe y a, como digo, transformar este sector. Desde mi óptica personal creo que la experiencia del paciente será el centro motor de este desarrollo. Este concepto más allá de su repercusión a nivel estratégico y de marketing; en muchos casos, requiere un trabajo especial que afecta a toda la clínica dental en concreto, y al sector en su conjunto en especial. La experiencia del paciente afectará a nuestros conocimientos médicos y a nuestros tratamientos, la experiencia del paciente afectará directamente a los comportamientos de nuestros equipos en la clínica, la experiencia del paciente incidirá especialmente en la transformación digital del sector y la experiencia del paciente tendrá una relación directa con los avances tecnológicos de nuestros proyectos empresariales.

Observo con especial atención a las y los jóvenes futuros odontólogos a día de hoy y siento su mismo cosquilleo, sus mismas expectativas y sus mismas ambiciones ahora que se enfrentan a una profesión que tiene evidentes mejoras por producir. Quiero, mejor dicho, queremos y debemos sentir nosotros también esta misma actitud de transformación y desde esta publicación haremos todo lo posible para que así sea en los próximos meses.

6 eldentistamoderno enero/febrero 2023
EDITORIAL
Miguel Burgueño Javier de la Cruz Eva López de Castro Juan Manuel Vadillo Marta Revilla Carlos Repullo José María Malfaz Rafael Martínez Anna Ramiro Juan López Palafox Jesús Daniel Parejo Leticia Rodríguez José Nart Eva Mª Martínez Dr. Imanol Donnay Director Científico de DM El Dentista Moderno. Director en Donnay Clínica Dental. Vitoria.

NUEVO! DETECTION EYE

El escáner intraoral Detection Eye de Zirkonzahn se distingue por su velocidad de escaneado, la toma de impresiones extremadamente precisa y su bajo peso. El escáner es fácil de usar y la posibilidad de elegir entre dos tipos diferentes de puntas hace que el procedimiento sea más cómodo para el paciente.

- Digitalización de alta precisión en color natural y tiempo real

- Alta velocidad de escaneo: digitalización de la arcada en menos de 60 segundos

- Visualiza claramente los límites de la preparación

- Escaneo sin polvo para una mayor simplifi cación del proceso

- Integración óptima en el flujo de trabajo de Zirkonzahn

- Diseño ligero, compacto y ergonómico

- Puntas autoclavables y reutilizables, disponibles en dos formatos diferentes

7 eldentistamoderno enero/febrero 2023 Zirkonzahn Ibérica – T +34 937 290 390 – iberica@zirkonzahn.com – www.zirkonzahn.com Zirkonzahn Worldwide – T +39 0474 066 680 – info@zirkonzahn.com – www.zirkonzahn.com MÁS INFORMACIÓN
INTRAORAL – INTEGRACIÓN PERFECTA EN EL SISTEMA DE GESTIÓN DE DATOS DE ZIRKONZAHN
ESCÁNER
INCL. SOPORTE DE ZIRKONZAHN

“SEDO BILBAO 2023 SERÁ

UN MOMENTO IDEAL PARA PODER COMPARTIR CON EL RESTO DE LAS ESPECIALIDADES EL ESTADO ACTUAL DE LA ORTODONCIA”

Dr. Iñigo Gómez Bollain, presidente de SEdO Bilbao 2023

Potenciar la interacción de la Ortodoncia con el resto de especialidades odontológicas. Ése es el objetivo del programa del 69 Congreso de la Sociedad Española de Ortodoncia y Ortopedia Dentofacial (SEdO), que tendrá lugar del 7 al 10 de junio en el Palacio Euskalduna de Bilbao, tal y como nos explica en esta entrevista el Dr. Iñigo Gómez Bollain, presidente de SEdO Bilbao 2023, quien nos avanza que se trata de un encuentro abierto a todos los profesionales de la Odontología interesados en ponerse al día del estado actual de la Ortodoncia y de las últimas novedades en todos los campos relacionados con esta especialidad.

 DM.- Bilbao acogerá el 69 Congreso de la Sociedad Española de Ortodoncia y Ortopedia Dentofacial (SEdO), que tendrá lugar del 7 al 10 de junio de 2023. ¿Qué significa para usted presidir este encuentro y que, a su vez, se celebre en su ciudad?

Dr. Iñigo Gómez Bollain (Dr. I.G.B.).- Es un privilegio y a la vez una gran responsabilidad ser presidente de la 69 Reunión Anual de la SEdO. Ser el encargado de acoger a los miembros de tu Sociedad en

entrevista ENTREVISTA 8 eldentistamoderno enero/febrero 2023

tu ciudad es un orgullo y estamos preparando un programa científico y social para que los asistentes puedan disfrutar de la ciencia y del ocio. Es un encuentro que desde el comité local estamos preparando con mucho cariño, intentando cuidar todos los detalles.

Bilbao es una ciudad que ha sufrido una gran remodelación en las últimas décadas y eso ha hecho que se abra al mundo. El Palacio de Congresos Euskalduna está situado en el centro de la ciudad, lo que hace que sea muy cómoda para el asistente al Congreso. Todos los desplazamientos serán a pie, tanto al evento científico como a los actos sociales, lo que hace que el disfrute de la gastronomía y poder “perderse” por Bilbao sea un atractivo añadido para el asistente.

 DM.- En cuanto al contenido científico, ¿qué aspectos han querido focalizar a la hora de diseñar el programa del 69 Congreso de la SEdO?

Dr. I.G.B.- El programa ha sido concebido para potenciar la interacción de la Ortodoncia con el resto de especialidades odontológicas. La Odontología interdisciplinar es lo que necesitan nuestros pacientes y, aunque sea una realidad en nuestras consultas, hay continuos avances en todas las especialidades día a día. Esto hace que tengamos que estar en continua formación y estando al día de los avances que se producen en las especialidades con las que colaboramos día a día.

 DM.- La “Ortodoncia interdisciplinar. La llave del éxito en el tratamiento del paciente adulto” ha sido el tema elegido como elemento central para este nuevo congreso. ¿Qué interés tiene este campo para los odontólogos?

Dr. I.G.B.- Siguiendo en la línea de la pregunta previa, del mismo modo que los ortodoncistas tenemos que saber lo que nos pueden aportar nuestros compañeros de otras especialidades, el resto de las especialidades también deben estar al corriente de lo que la Ortodoncia les puede aportar. Ya es sabido por todos que la Ortodoncia es mucho más que alinear dientes, esto no es nuevo para nadie, pero del mismo modo que el mundo de los implantes o la prostodoncia avanza a velocidades insospechadas hace unos años, la Ortodoncia también lo está haciendo. El Congreso de Bilbao será un momento ideal para poder compartir con el resto de las especialidades el estado actual de la Ortodoncia.

 DM.- ¿A qué profesionales está abierto este encuentro?

Dr. I.G.B.- A todos. Estamos preparando un congreso para que todos aprendamos la Odontología más vanguardista que hay en este momento. Los ortodoncistas van a aportar su visión para el resto de los compañeros, pero otros especialistas (periodoncistas, prostodoncistas, cirujanos...) también van a aportar su visión integral del paciente. Todos nos vamos a enriquecer aprendiendo.

 DM.- Por otro lado, ¿qué expertos participarán en el Congreso como ponentes?

Dr. I.G.B.- Habrá una gran diversidad de conferenciantes. Hemos intentando hacer una mezcla entre conferenciantes de todas las edades, desde los más experimentados a los más jóvenes, que sin duda son el futuro de nuestra profesión. Asimismo, y aunque el grueso del cartel sean ortodoncistas,

9 eldentistamoderno enero/febrero 2023
El programa ha sido concebido para potenciar la interacción de la Ortodoncia con el resto de especialidades odontológicas

el sábado por la mañana hemos invitado a “parejas” periodoncista-ortodoncista que nos explicarán su forma de trabajar en equipo y nos darán ideas aplicables a nuestro día a día al tratar al paciente periodontal. No vamos a nombrar aquí a todos los conferenciantes, pero me gustaría hacer una mención especial al Dr. Enrique Bejarano, que dará una conferencia en la que repasará con su amplia experiencia cómo ha ido evolucionando la Ortodoncia en España en los últimos 50 años. Contaremos también con reconocidos conferenciantes internaciones como los doctores Renato Cocconi, Lorenz Moser, Ute Schneider, Dan Gauer, Miguel Hisrschhaut, Carlos Becerra…. Y muchos más que os iremos anunciando.

 DM.- En este sentido, ¿qué papel tendrá SEdO Joven y las nuevas generaciones en el Congreso?

Dr. I.G.B.- Este Congreso y esta Sociedad no se puede entender sin los jóvenes, por eso hemos decidido impulsar a los jóvenes y por primera va a haber dos jóvenes en el curso precongreso. Los Dres. Pablo Arias y Javier Aznar hablarán, junto con el Dr. Domingo Martín, el miércoles por la tarde en la sesión de alineadores del precongreso. Durante el Congreso, SEdO Joven tendrá su espacio y han decidido invitar al Dr. Raúl Ferrando como su conferenciante para acercar a los jóvenes su enfoque del tratamiento interdiscliplinar.

ENTREVISTA 10 eldentistamoderno enero/febrero 2023
entrevista
Las nuevas tecnologías estarán presentes en todas las conferencias del Congreso. Hoy en día no se entiende la profesión sin ser digital y todo lo que ello supone
” “
‘Parejas’ periodoncista-ortodoncista nos explicarán su forma de trabajar en equipo y nos darán ideas aplicables a nuestro día a día al tratar al paciente periodontal ”

Y no nos podemos olvidar de las universidades. En este ámbito contaremos con dos catedráticos como son el Dr. Alejandro Iglesias y el Dr. Federico Hernández Alfaro, quienes compartirán con todos los jóvenes sus conocimientos de Ortodoncia.

 DM.- La “Ortodoncia y su entorno” será otro de los temas centrales de esta reunión anual. ¿Qué temas se abarcarán en las distintas ponencias sobre la citada temática?

Dr. I.G.B.- La Periodoncia va a tener un papel destacado en el congreso. Hemos decidido abarcar las relaciones Ortodoncia-Periodoncia desde un amplio campo. Se repasará la evolución a largo plazo de estos tratamientos en casos extremos, los últimos conceptos de erupción forzada, las cortocotomías como ayuda a la Ortodoncia y como último tema repasaremos un tema tan actual como los autotransplantes y su manejo por parte del ortodoncista.

 DM.- Dada la revolución que han supuesto los alineadores en el mundo de la Ortodoncia, éstos también tendrán su espacio en el encuentro. En este sentido, ¿en qué temas se centrarán las ponencias dedicadas este tipo de tratamientos?

Dr. I.G.B.- Vamos a encontrarnos dos bloques diferentes al respecto. La tarde del miércoles del curso precongreso, los Dres. Domingo Martín, Pablo Arias y Javier Aznar darán una visión de los alineadores relacionada con los tratamientos interdisciplinares, ya que mostrarán su experiencia combinando alineadores con corticotomías y con anclaje esquelético; y harán hincapié en el empleo de los alineadores para el tratamiento de los pacientes con disfunción temporomandibular. Por otro lado, el sábado por la tarde, cuatro expertos en este tema como son los Dres. Elvira Antolín, Alberto Canábez, Javier Prieto y Manuel Román nos responderán a la siguiente pregunta: ¿Por qué uso mi sistema? Disfrutaremos y aprenderemos todos.

 DM.- ¿Qué papel tendrán las nuevas tecnologías en este encuentro?

Dr. I.G.B.- Estarán presentes en todas las conferencias. Hoy en día no se entiende la profesión sin ser digital y todo lo que ello supone. El anclaje esquelético, los alineadores, la interacción Ortodoncia-Prostodoncia-Periodoncia... Todo es digital.

Los talleres del Congreso también tendrán una gran carga digital y en ellos se explicará de un modo muy práctico la aplicación en el día a día de las nuevas tecnologías.

 DM.- En resumen, ¿qué conceptos aprenderán los profesionales que acudan al próximo Congreso Anual de la SEdO para poder aplicarlos en su práctica clínica diaria?

Dr. I.G.B.- Aprenderemos las últimas novedades en todos los campos de la Odontología relacionados con la Ortodoncia.

El Congreso va a ser una puesta al día en alineadores, anclaje esquelético, ortodoncia aplicada al paciente periodontal, cirugía ortognática, medicina estética facial, autotransplantes, etc.

¡Os invitamos a todos a venir a Bilbao del 7 al 10 de junio!

11 eldentistamoderno enero/febrero 2023
El Congreso va a ser una puesta al día en alineadores, anclaje esquelético, ortodoncia aplicada al paciente periodontal, cirugía ortognática, medicina estética facial, autotransplantes, etc.

caso clínico

TRATAMIENTO MULTIDISCIPLINAR DE UN PACIENTE CON PERIODONTITIS ESTADIO III GRADO C

Este caso clínico, que fue galardonado en los Premios Sanitas Dental Star 2022 con el Premio al Mejor Caso Clínico Multidisciplinar en la categoría “Experta”, aborda los exitosos resultados de un tratamiento multidisciplinar de un paciente con periodontitis estadio III grado C, combinando un tratamiento periodontal regenerativo con una adecuada terapia de mantenimiento periodontal y un tratamiento ortodóntico temprano sin detrimento de la estabilidad periodontal. Como resultado se mejoró la función masticatoria y la estética, además de detener la enfermedad periodontal.

MULTIDISCIPLINAR 12 eldentistamoderno enero/febrero 2023
Ganador del Premio Mejor Caso Clínico Multidisciplinar Dental Star en la categoría “Experta” Dr. Antonio Nobili.

Experto en Clínica Periodontal, Universidad Complutense de Madrid

Máster en Ciencias

Odontológicas, Universidad Complutense de Madrid

Metodología de Investigación en Odontología, SEPA

Máster en Periodoncia, Universidad Complutense de Madrid. (2020-2023)

Presentación del caso clínico

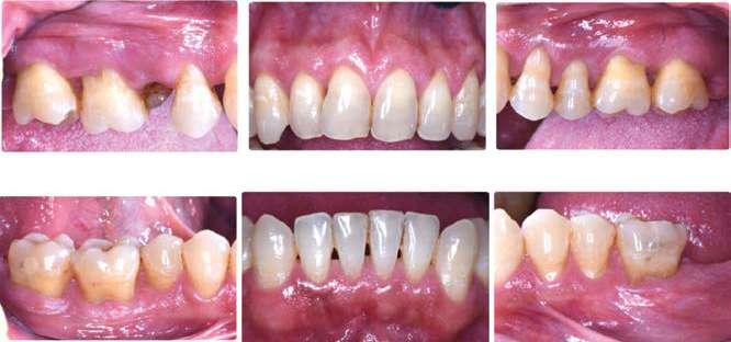
Se presenta el caso de un paciente varón de 37 años, sin ninguna patología sistémica a destacar y fumador de más de 20 cigarrillos diarios. El motivo de su visita a la clínica universitaria fue la búsqueda de una mejora de su sonrisa mediante un blanqueamiento dental. Tras una exploración clínica y radiológica, se diagnosticó al paciente con “Periodontitis estadio III generalizado, grado C.” (Papapanou & Sanz 2018), bajo riesgo de caries y maloclusión bilateral con mordida cruzada canina.

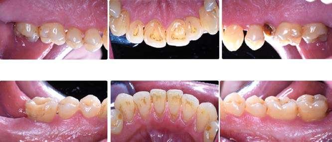
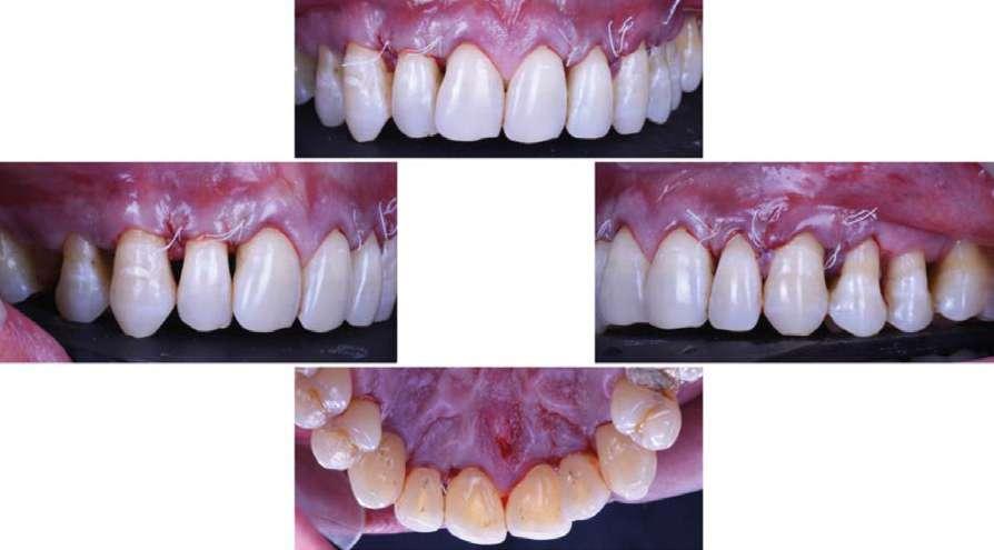
Como se observa en la vista general, existe una integridad dental en ambas arcadas, inflamación gingival severa y tinciones con de posible origen tabáquico. (Figura 1)

Con más detalle, en la vista por sextantes se aprecia un resto radicular en posición 15, recesiones gingivales vestibulares de hasta 3 mm en la cara vestibular del segundo y tercer sextante y presencia de terceros molares erupcionados en el maxilar superior. (Figura 2 y 3)

En la vista palatina podemos apreciar una tinción más pronunciada de las superficies radiculares, en comparación con las caras bucales.

En el periodontograma inicial (Figura 4), se puede observar cómo todos los dientes superiores presentaban una pérdida de inserción clínica avanzada con valores de hasta 9 mm. Todos los molares superiores presentaban afectación de la furca grado 1 o 2 con movilidad dentaria grado II para ambos segundos molares maxilares. En la arcada inferior (Figura 5), el cuarto y sexto sextante presentan PS de hasta 10 mm mientras que en el 5 sextante no superan los 5mm. El segundo molar inferior izquierdo presenta signos de supuración positivos y movilidad grado 3. De manera similar, el segundo molar derecho presenta movilidad de grado 2 y lesión de furca grado 3. El canino inferior izquierdo es el diente del quinto sextante con mayor profundidad de sondaje siento esta de 9mm y estando acompañada de supuración. En esta primera visita, el paciente presenta un índice de placa del 96% y de sangrado del 89%.

13 eldentistamoderno enero/febrero 2023
Dr. Antonio Nobili Grado en Odontología, Universidad Europea de Valencia
1 2 3 4

caso clínico

El análisis microbiológico no muestra porcentajes elevados de Porphyromonas gingivalis y de Tannerella forsythia, siendo estas de 17,81% y 10,96% respectivamente.

Análisis dental

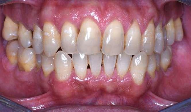
Hay ausencia de los terceros molares inferiores, obturaciones de composites presentes en los molares superiores e inferiores, el 15 y el 36 con vitalidad negativa. Pasando al análisis oclusal, una clase II molar y clase I canina en el lado derecho y superclase I molar y clase II canina en el lado izquierdo. Una sobremordida que refleja los valores normales (<1/3), y un resalte de 2,5mm. (Figura 8 y 9)

Diagnóstico periodontal

Examen radiográfico

La ortopantomografía (Figura 6) revela una pérdida ósea horizontal generalizada superior a 2/3 de la longitud de todos los dientes en ambas arcadas. El análisis detallado de la serie periapical (Figura 7) muestra imágenes compatibles con defectos intraóseos en el diente 47 e incisivos superiores. Los molares inferiores, presentan imágenes compatibles con afectación de la furca; y los dientes 36 y 37 presentan una imagen compatible con una lesión periapical.

Se clasificó al paciente siguiendo la última clasificación propuesta por la Federación europea y americana de periodoncia “Periodontitis estadio III grado C”, con una lesión endoperiodontal de grado 3 sin daño radicular y un absceso periodontal en paciente con periodontitis (sin tratamiento previo) en el diente 37. La secuencia de tratamiento periodontal se llevó a cabo siguiendo la guía de práctica clínica para el tratamiento de estadios I y III (Sanz y cols. en 2020). Durante el paso I, se persigue un cambio motivacional y de hábitos por parte del paciente para eliminar el biofilm dental supragingival y controlar sus factores de riesgo.

MULTIDISCIPLINAR 14 eldentistamoderno enero/febrero 2023
5 6
15 eldentistamoderno enero/febrero 2023 7 8 9

caso clínico

El control de biofilm supragingival se obtuvo mediante un cepillo de dientes eléctrico y la explicación de técnicas de higiene oral en las que se incluye la higiene oral interproximal. Para el control de los factores de riesgo, se realizó el test de Fageström que dio como resultado una alta dependencia a la nicotina. No obstante, tras explicar los riesgos que ocasionaba el tabaco y las consecuencias a nivel sistémico y oral el paciente estaba muy motivado para dejar de fumar.

A continuación, en el paso II, se persiguió el control del cálculo y del biofilm subgingival. En este caso, se consiguió mediante instrumentación subgingival (por cuadrantes) junto con la extracción de dientes con un pronóstico desfavorable (hopeless) o estratégicamente sin motivo para ser mantenidos como son 18, 28 y 37.

De forma coadyuvante a el raspado y alisado radicular, se prescribieron agentes químicos, (CHX 0,12% + CPC 0,05%), dos veces al día durante 1 minuto por 14 días. (Herrera 2003)

Una vez completado el desbridamiento, y tras el análisis microbiano, se administraron antibióticos sistémicos (Metronidazol 500mg x8h x7 días) como tratamiento coadyuvante. (Herrera y cols. 2002; Herrera y cols. 2008).

Por último, se realizó un retratamiento de conductos en el diente 36 para resolver su patología periapical.

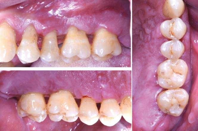
Ocho semanas más tarde se llevó a cabo la reevaluación periodontal.

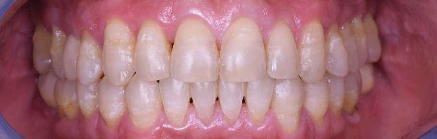
Se puede observar cómo hemos alcanzado un excelente control de placa por parte del paciente y una reducción generalizada de la inflamación gingival. (Figura 10, 11,12)

El periodontograma de re-evaluación (Figura 13), muestra una reducción significativa de las profundidades de sondaje. Sin embargo, a pesar de la mejora, no se han alcanzado los objetivos de nuestro tratamiento según las guías de práctica clínica. La puntuación del índice de placa y de sangrado han cambiado del 96% al 17% y del 89% al 21%, respectivamente.

Terapia avanzada

Sanz-Sanchez y cols. 2020, sugirieron realizar una cirugía de colgajo de acceso en presencia de bolsas residuales profundas (PS ≥ 6 mm) en pacientes con periodontitis de estadio III tras el primer y segundo paso de la terapia periodontal; mientras que en presencia de bolsas residuales moderadamente profundas (4-5 mm), sugirieron repetir la instrumentación subgingival. De acuerdo con esto, se decidió pasara a la fase quirúrgica.

Cabe destacar que en este paso el paciente ya había dejado el hábito tabáquico.

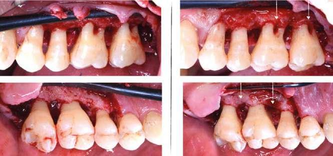
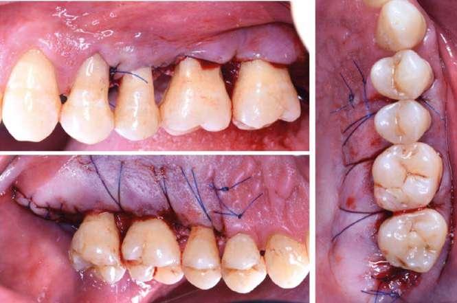
Empezando por el tercer sextante, donde se llevó a cabo una cirugía de reposición apical. Se realizó una incisión intrasulcular por vestibular e incisiones festoneadas junto con adelgazamiento del tejido en el paladar; también se realizó una incisión verti-

MULTIDISCIPLINAR 16 eldentistamoderno enero/febrero 2023
10 11 12

cal de descarga para independizar el canino ya que se incluirá en una cirugía diferente; por último, una incisión en cuña distal larga. (Figura 14)

Después del desbridamiento de los tejidos blandos, en el aspecto vestibular, se realizó una osteoplastia en la entrada de la furca bucal. Mientras que en la cara palatina se realizó una osteoplastia para reducir el componente intraóseo de los cráteres óseos y conseguir una mejor adaptación del colgajo. Una sutura continua con colchonero cruzado externo se realizó para posicionar apicalmente el colgajo y se realizaron suturas interrumpidas simples para la incisión de descarga y la cuña distal.

(Figura 15)

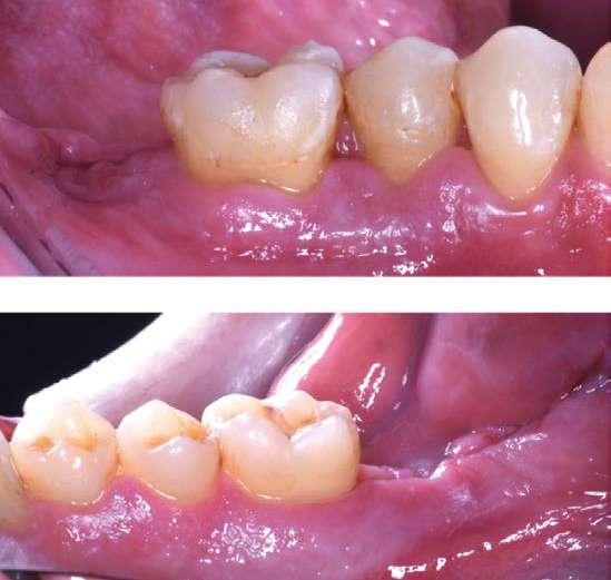
A las 2 semanas, cuando se retiraron las suturas, se aprecia una cicatrización sin complicaciones y un cierre primario de la cuña distal. (Figura 16)

En el primer sextante, también se realizó una cirugía de reposición apical. El mismo diseño de colgajo fue realizado. (Figura 17)

Además, en este caso, después de la elevación del colgajo, se pudo observar la presencia de la corona clínica suficiente para poder restaurar el 15, pero no en el aspecto palatino, por lo que la ostectomía se hizo en este sitio para conseguir este objetivo. Después haber realizado cirugía ósea se repitió el mismo tipo de sutura. (Figura 18)

A las 2 semanas se quitaron los puntos y a los 6 meses se puede observar una cicatrización sin complicaciones. (Figura 19)

17 eldentistamoderno enero/febrero 2023
13 14 15

caso clínico

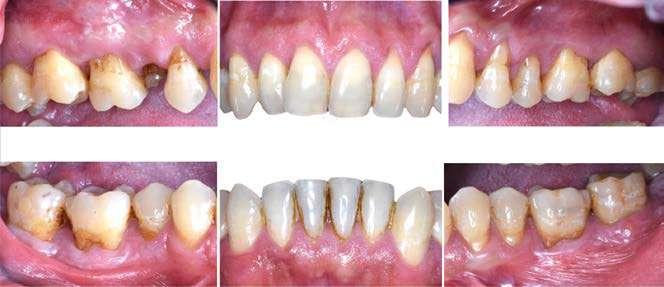
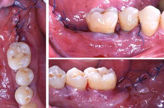
En el sexto sextante, se realizó una cirugía de acceso para poder valorar el defecto alrededor del 47 y en caso de enfoque regenerativo poder obtener un cierre primario de los tejidos blandos. Por eso se realizaron incisiones intrasulculares por vestibular y por palatino para preservar los tejidos blandos.

(Figura 20)

Al levantar colgajo y después de haber removido el tejido de granulación, se pudo observar un defecto circunferencial intraóseo de 9 mm de profundidad junto con una afectación de la furcación de clase III y una extensa movilidad. Todos estos factores, nos llevan a considerar ese diente irracional el tratamiento. Por lo tanto, se realizó la extracción del diente y una sutura continua dentosoportada + una sutura interrumpida simple. (Figura 21)

A los 10 días, se pudo observar una cicatrización sin compromisos. (Figura 22)

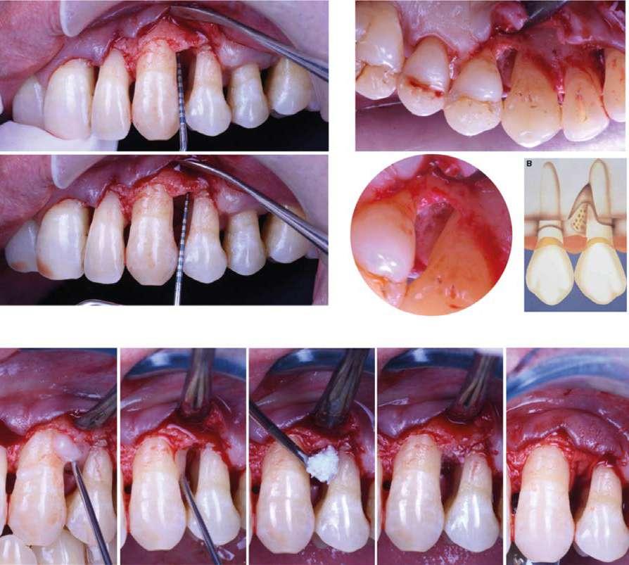
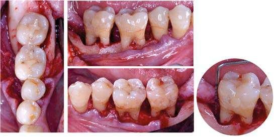
En el segundo sextante, considerando la anatomía de los defectos y el compromiso estético de dicho sextante, se optó por un abordaje quirúrgico regenerativo para tratar 5 defectos periodontales de forma independiente adaptando la técnica regenerativa empleada en cada defecto según la evidencia científica disponible. (Figura 23)

La cirugía consistió en la realización de dos colgajos independientes, otorgando acceso a los defectos intraóseos mediante la técnica de preservación de papila modificada (MPPT) y la técnica de preservación de papila simplificada (SPPF), en función de las condiciones anatómicas locales.

(Figura 24) Tras eliminar el tejido de granulación y alisar las superficies radiculares, se acondicionó la superficie radicular con EDTA 24% durante 2 minutos. A continuación, se aplicaron proteínas derivadas de la matriz del esmalte y, en los dientes 23 y 24, se combinó con xenoinjerto de hueso bovino y membrana de colágeno reabsorbible. (Figura 25). Sutura tipo Guidor con retirada a las 2 semanas. (Figura 26 y 27)

Fase multidisciplinar

Después de haber logrado una estabilidad periodontal, se decidió pasar a la fase multidisciplinar, que consistió en la colocación de implantes para reemplazar las ausencias, en el tratamiento ortodóncico y en la fase restauradora.

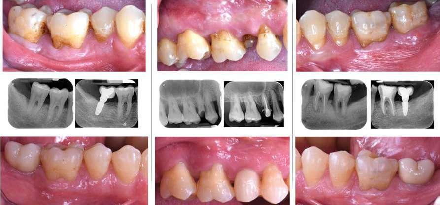
Con respecto a los implantes, el objetivo fue restaurar la función colocando implantes en 37 y 47 como se puede observar en las siguientes imágenes. Importante mencionar que no se prevén mo-

MULTIDISCIPLINAR 18 eldentistamoderno enero/febrero 2023
16 17 18
19 eldentistamoderno enero/febrero 2023 19 20 21 22 23 24

caso clínico

MULTIDISCIPLINAR 20 eldentistamoderno enero/febrero 2023 25 26

vimientos ortodónticos distales de los dientes en la mandíbula, los implantes pueden colocarse ya en su posición ideal sin tener que esperar el fin del tratamiento ortodóncico. (Figura 28)

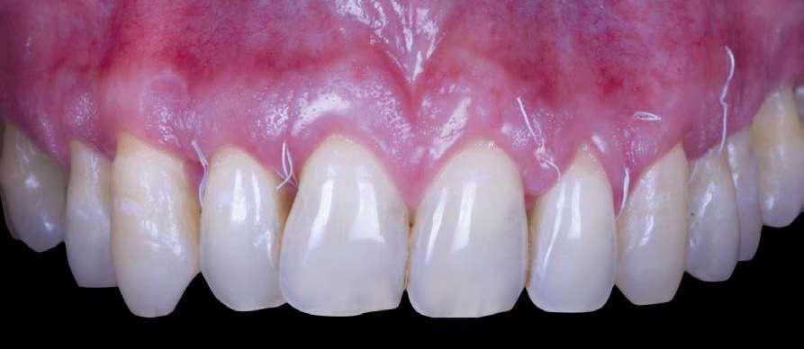
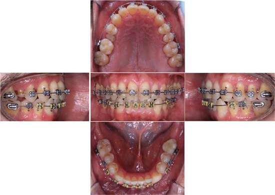
Ortodoncia. Dos semanas tras la retirada de suturas de la última cirugía regenerativa del segundo sextante, se inició un tratamiento con aparatología fija multibrac-

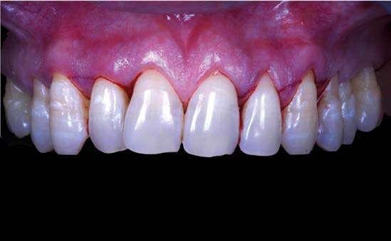
kets, de acuerdo con los tiempos descrito por Jepsen y colaboradores en 2016. Los objetivos del tratamiento ortodóncico fueron corregir el plano oclusal y conseguir estabilidad oclusal; conseguir suficiente espacio para la restauración del diente (#15) y alinear los bordes incisales. Podemos observar el comienzo del tratamiento (Figura 29) y el resultado 1 año y medio después. (Figura 30)

21 eldentistamoderno enero/febrero 2023
27 28

caso clínico

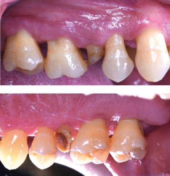
Por último, con respecto a la fase de restauradora, se rehabilitaron los dos implantes y se realizó una corona en el 15. (Figura 31) Finalmente, después de haber logrado los objetivos de tratamiento, se incluyó al paciente en un programa de mantenimiento periodontal

y se realizó re-evaluación a los 6 y 12 meses. En la exploración periodontal y el examen radiográfico, se pudo observar una ganancia de inserción clínica e imágenes radiográficas compatibles con un aumento de la densidad ósea. (Figura 32 y 33)

MULTIDISCIPLINAR 22 eldentistamoderno enero/febrero 2023
29 30 31 32

Conclusión

A la vista de los resultados concluimos que el tratamiento multidisciplinar de este paciente ha sido exitoso, donde no solo se ha mejorado la función masticatoria y la estética, sino que lo más importante es que se ha detenido la enfer -

Resumen

medad periodontal. Además, se puede concluir que el tratamiento periodontal regenerativo con una adecuada terapia de mantenimiento periodontal, puede ser combinados con tratamiento ortodóntico temprano sin detrimento de la estabilidad periodontal. 

Paciente varón de 37 años, sin ninguna patología sistémica a destacar y fumador de más de 20 cigarrillos diarios. El motivo de su visita a la clínica universitaria fue la búsqueda de una mejora de su sonrisa mediante un blanqueamiento dental. Tras una exploración clínica y radiológica, se diagnosticó al paciente con “Periodontitis estadio III generalizado, grado C”, bajo riesgo de caries y maloclusión bilateral con mordida cruzada canina. Después de haber realizado la fase básica del tratamiento periodontal, seguía presentando localizaciones con profundidad de sondajes elevadas y defectos intraóseos. Por

esto, se realizaron varias cirugías periodontales. Tras haber logrado una estabilidad periodontal compatible con salud, se pasó a la fase multidisciplinar, donde se colocaron implantes para reemplazar las ausencias, se realizó tratamiento ortodóntico con multibrackets y se llevó también a cabo el aspecto restaurador y estético. A la vista de los resultados se puede concluir que el tratamiento multidisciplinar de este paciente ha sido exitoso, donde no solo se ha mejorado la función masticatoria y la estética, sino que lo más importante es que se ha detenido la enfermedad periodontal.

23 eldentistamoderno enero/febrero 2023
33

“EN SEDCYDO GIJÓN 2023 SE ACTUALIZARÁN CONOCIMIENTOS Y LOS ÚLTIMOS AVANCES EN

LA ESPECIALIDAD”

Dra. Elena González Canal, presidenta del XXXIII Congreso Anual de SEDCYDO

A lo largo de esta entrevista, la Dra. Elena González Canal, presidenta del XXXIII Congreso Anual de la Sociedad Española de Disfunción Craneomandibular y Dolor Orofacial (SEDCYDO) –que tendrá lugar en el Palacio de Congresos de Gijón los días 19 y 20 de mayo–, nos desvela los contenidos de este encuentro que, con los trastornos temporomandibulares, el dolor orofacial y la medicina oral del sueño como bloques temáticos principales, contará con expertos reconocidos de esta especialidad que pondrán al día a los profesionales desde una perspectiva transversal, dada la importancia del manejo multidisciplinar de estos pacientes.

 DM.- Como máxima responsable del XXXIII Congreso Anual de la Sociedad Española de Disfunción Craneomandibular y Dolor Orofacial (SEDCYDO), ¿cuál es el objetivo del encuentro?

Dra. Elena González Canal (Dra. E.G.C.).- El principal objetivo es que todos los asistentes a este Congreso puedan –tanto los que se inician como los que ya tienen experiencia en el tema– actualizar conocimientos y ponerse al día de los últimos avances en la especialidad. Y, por supuesto, acercar esta especialidad al Principado de Asturias, ya que tristemente hay pocos profesionales que nos dediquemos a ello.

entrevista ENTREVISTA 24 eldentistamoderno enero/febrero 2023

 DM.- Respecto al programa científico, ¿cuáles serán las temáticas centrales del encuentro?

Dra. E.G.C.- Existirán tres bloques temáticos principales: los trastornos temporomandibulares, el dolor orofacial y la medicina oral del sueño. Además, existirá un bloque dedicado al tratamiento rehabilitador del paciente desgastador mediante la odontología restauradora. Puesto que, aunque el bruxismo no siempre se acompaña de desgaste dentario (y ese desgaste no es útil como signo aislado para el diagnóstico del mismo), existen pacientes bruxistas que presentan desgastes y además es una entidad que se acompaña de determinadas comorbilidades como la Enfermedad por Reflujo Gastroesofágico, que también puede generar un desgaste dentario mixto o erosivo; en este caso, conocer los protocolos y procedimientos de rehabilitación pueden ser del interés para el odontólogo general y los prostodoncistas.

Además, resaltar que las conferencias tienen un carácter transversal: haciendo hincapié en la importancia del manejo multidisciplinar de estas entidades y de la búsqueda de la causa primaria de los problemas que pueden presentar este tipo de pacientes. Destacaremos, mediante un curso específico, el papel necesario de los fisioterapeutas para conseguir los mejores resultados.

 DM.- En este sentido, ¿cuáles son las principales preocupaciones de los profesionales en el campo de la disfunción temporomandibular y el dolor orofacial en la actualidad?

Dra. E.G.C.- La principal preocupación es solucionar un problema que en la mayoría de los casos conlleva una gran complejidad, y que no siempre se puede solucionar con una férula de descarga. En los casos más difíciles hay todo un mundo detrás, con pacientes que llevan un sufrimiento acumulado, a veces durante años, y que requerirán la ayuda de diferentes profesionales de la Medicina.

Es necesario que exista difusión sobre el área de trabajo diferencial que se realiza, para que el resto de profesionales sepan cuándo y a quién derivar cada caso. Por ese motivo, la formación y actualización de calidad para odontólogos generales, médicos, fisioterapeutas y otros sanitarios que trabajen en este área es fundamental: para que los casos de urgencia sean adecuadamente atendidos y los pacientes más complejos reciban la atención concreta que precisen en cada caso.

 DM.- En materia de dolor orofacial, ¿qué temas centrarán las ponencias?

Dra. E.G.C.- Será un bloque muy diverso, donde se tratará desde la punción seca hasta la modulación neurovegetativa, pasando por la medicina integrativa, el uso del láser, tratamiento farmacológico y los últimos avances en el tratamiento de la neuralgia del trigémino.

 DM.- En cuanto a la rehabilitación oral de los pacientes que presentan pérdida de tejido o soporte, ¿cuáles serán las temáticas abordadas durante el encuentro?

Dra. E.G.C.- Hablaremos de estética, tecnología aplicada, nuevos materiales e implantoprótesis. Creemos que son estos los pilares sobre los que debe basarse el tratamiento rehabilitador y que, por tanto, será de gran ayuda para los asistentes.

25 eldentistamoderno enero/febrero 2023
El XXXIII Congreso Anual de SEDCYDO contará con tres bloques temáticos principales: los trastornos temporomandibulares, el dolor orofacial y la medicina oral del sueño.
Las conferencias tienen un carácter transversal: haciendo hincapié en la importancia del manejo multidisciplinar de estas entidades y de la búsqueda de la causa primaria de los problemas que pueden presentar este tipo de pacientes ”

 DM.- La medicina dental del sueño también estará presente en el XXXIII Congreso Anual de SEDCYDO. ¿Cómo se tratará la perspectiva multidisciplinar en el tratamiento de los pacientes con patología de sueño?

Dra. E.G.C.- Las alteraciones del sueño tienen una alta prevalencia entre la población general, causando un alto impacto en la calidad de vida de las personas que padecen este tipo de patologías. Entre las alteraciones del sueño más importantes se encuentran los trastornos respiratorios (TRS), que pueden comprometer seriamente la salud, y en el caso de la AOS ser potencialmente mortales. Se trata de una enfermedad sumamente infradiagnosticada, por lo que participar en el screening

de la misma como sanitarios es capital. Además, existe asociación entre la AOS y otras comorbilidades que deben ser conocidas y adecuadamente manejadas por el odontólogo siempre en conjunto con un equipo multidisciplinar. La Dra. Jaqueline Lisson realizará una actualización del tema desde la perspectiva del cirujano maxilofacial, mientras que el Dr. Caros Cenjor nos pondrá al día sobre el manejo que se realiza desde una unidad de sueño multidisciplinar donde el papel del odontólogo es fundamental. Y, por último, la Dra. Susana Falardo nos hablará de las comorbilidades orales que se presentan en relación con la AOS.

 DM.- ¿Qué especialistas nacionales e internacionales en el campo de la disfunción temporomandibular y el dolor orofacial participarán en el encuentro?

Dra. E.G.C.- El evento contará con ponencias de expertos reconocidos del ámbito de los trastornos temporomandibulares, el dolor orofacial y la medicina dental del sueño. Reunirá a personalidades internacionales destacadas como Dominik Ettlin, Cristian Abad Coronel, Jacqueline Lisson Rodriguez o Susana Falardo Ramos. Contando igualmente con un nutrido elenco de referentes nacionales del sector como José Luis de la Hoz Aizpurúa, Jordi Tomàs Aliberas o Carlos Fernández Villares, entre otros. Sin duda, un cartel cargado de profesionales expertos que no dejará indiferente a los asistentes a SEDCYDO Gijón.

 DM.- Háblenos del Curso para Fisioterapeutas que ofrece también este encuentro. ¿Qué temas se abordarán en el mismo?

Dra. E.G.C.- Se impartirá un curso exclusivo para fisioterapeutas, además de conferencias heterogéneas sobre la evaluación y el manejo de los trastornos temporomandibulares y dolor orofacial por parte del fisioterapeuta como parte del equipo interdisciplinar. Los temas a abordar son de sumo interés y actualidad, como el bruxismo: separado en sus diferentes manifestaciones circadianas (sueño y vigilia) con la diferenciación que ello implica en cuanto a la fisiopatología, evaluación y manejo. Además, se tratará un tema que en muchos casos genera alta complejidad para todos los profesionales implicados en su manejo, como es el acufeno, entidad que en muchos casos se solapa con cuadros de trastornos temporomandibulares y dolor orofacial. 

ENTREVISTA 26 eldentistamoderno enero/febrero 2023
entrevista
La formación y actualización de calidad tanto para odontólogos generales, médicos, fisioterapeutas y otros sanitarios que trabajen en este área es fundamental para que los pacientes reciban la atención concreta que precisen en cada caso ”
El XXXIII Congreso Anual de SEDCYDO contará con expertos reconocidos de esta especialidad que pondrán al día a los profesionales desde una perspectiva transversal, dada la importancia del manejo multidisciplinar de estos pacientes.

Ponentes

Comité Organizador

Presidenta

Elena González Canal Vicepresidente

Eduardo Vázquez Delgado

Tesorero

Fernando González Llorián

Vocales

Sandra Rodríguez Viña

Marta Viaplana Rodríguez

Núria Lostaló Alcázar

Comité Científico

Presidente

Carmelo Plaza Tolosa

Vocales

Javier Alberdi Navarro

Adelaida Dominguez

Gordillo

27 eldentistamoderno enero/febrero 2023 XXXIII REUNIÓN ANUAL DE LA SOCIEDAD ESPAÑOLA
DISFUNCIÓN CRANEOMANDIBULAR
DOLOR OROFACIAL SEDCYDO 19-20 de mayo GIJÓN’23 Palacio de Congresos Grupo Meraki - Eventos con alma congreso@sedcydogijon.com www.sedcydogijon.com GRUPO MERAKI
DE
Y
hasta el 28 de FEBRERO Inscripción abierta CUOTA REDUCIDA
Cristian Abad Coronel Oriol Cantó Naves Carlos Cenjor José Luis de la Hoz Dominik Ettlin Sarah Michiels Tomás Molina Hernández Cristina Murtra Susana Falardo Cipriano Fernández Carlos Fernández-Villares Silvia González Pondal Antonio Meaños Somoza Juan Mesa Jiménez Jordi Padrós Auge Jordi Tomàs Aliberas Eduardo Vázquez Delgado

ALGORITMO DIAGNÓSTICO Y TERAPÉUTICO EN PATOLOGÍAS PERIIMPLANTARIAS

Los implantes dentales son en la actualidad la manera ideal de reponer dientes ausentes o sustituir a aquellos que se clasifican con pronóstico imposible. No obstante, no están exentos de complicaciones y la prevalencia de patologías periimplantarias como son las mucositis y la periimplantitis es cada vez mayor. Por eso el objetivo de este artículo es ahondar en los criterios diagnósticos y terapéuticos de las patologías periimplantarias a fin de prevenir su aparición y lograr un resultado predecible en caso de necesitar tratamiento una vez instaurada la patología.

Introducción

Alda.

Tlf: 944 158 902 / 629 257 524 erik@ortizvigon.com

Hace décadas que los implantes dentales se postularon como un método eficaz, seguro y predecible a la hora de reponer dientes ausentes o dientes con un pronóstico imposible ya fuera desde un punto de vista periodontal o restaurador. No obstante, es necesario destacar que la incidencia y prevalencia de patologías periimplantarias constituyen un problema en la sociedad actual poniendo en riesgo la salud buco-dental de los pacientes, llegando a provocar en ocasiones la perdida del implante. El objetivo del tratamiento de las enfermedades periimplantarias es resolver la inflamación de los tejidos blandos y prevenir una pérdida ósea marginal mayor. Para ello, es necesario tener en mente una serie de conceptos desde el punto de vista diagnóstico y terapéutico que proporcionen una visión general de las patologías periimplantarias. Por eso, el objetivo de esta revisión narrativa es describir cronológicamente todos los aspectos necesarios para otorgar al clínico una visión general de las patologías periimplantarias, tanto para su correcto diagnóstico como para su tratamiento, sea no quirúrgico y/o quirúr-

gico, repasando factores clave desde la descontaminación de la superficie periimplantaria, hasta el uso de biomateriales y manejo de tejidos blandos.

1. Diagnóstico y prevención (Figuras 1 y 2) (1-17): En el año 2017 se celebró el World Workshop on Periodontology y por primera vez se abordaron la clasificación y condiciones periimplantarias. Desde ese momento se establecieron 3 conceptos. Salud periimplantaria, mucositis y periimplantitis.

 Salud periimplantaria: la salud periimplantaria se caracteriza por la ausencia de signos clínicos de inflamación ni sangrado ni supuración al sondaje. No obstante, no deberíamos guiarnos por un rango de profundidades de sondaje que denominemos compatibles o incompatibles con salud. Adicionalmente, podría coincidir con un soporte óseo reducido, dado que puede establecerse salud periimplantaria tras el tratamiento exitoso de la periimplantitis.

 Mucositis: la mucositis periimplantaria se caracteriza por la presencia de una lesión inflamatoria de los tejidos blandos que rodean a un implante en ausencia de

caso
IMPLANTOLOGÍA 28 eldentistamoderno enero/febrero 2023
clínico
Contacto: Dr. Erik Regidor Clínica Ortiz Vigón - Periocentrum Bilbao ThinkingPerio Research & Arrow Development Urquijo nº2 - 7º planta 48008 Bilbao Dr. Erik Regidor Doctorando en la UPV. Master oficial en ciencias UPV. Especialista en Periodoncia e Implantes UPV. Odontólogo por la Universidad del País Vasco UPV. Investigador en ThinkingPerio Research & Arrow Development. Dr. Alberto Ortiz-Vigón Doctor Cum Laude por la Universidad Complutense de Madrid UCM. MBA por la Universidad de Deusto. Master Oficial en Ciencias UCM. Especialista en Periodoncia e Implantes UCM. Odontólogo por la Universidad del País Vasco UPV. Investigador en ThinkingPerio Research & Arrow Development.

pérdida ósea. El principal signo clínico es el sangrado al sondaje. Existe evidencia científica que respalda que el factor etiológico de la mucositis periimplantaria es la placa bacteriana de manera que podría remitir o ser una patología reversible tras la realización de procedimiento de eliminación y control de placa bacteriana.

 Periimplantitis: la periimplantitis se caracteriza ya no solo por la inflamación de la mucosa periimplantaria sino también por pérdida del hueso de soporte. Suele presentarse con sangrado al sondaje y/o supuración, incremento de las profundidades de sondaje y/o recesión del margen mucoso periimplantario y pérdida ósea en comparación con situaciones previas. La presencia prolongada de mucositis periimplantaria en el tiempo es un factor predecesor de la periimplantitis en ausencia de un programa de mantenimiento periimplantario periódico, siendo la progresión de la periimplantitis más rápida que la de la periodontitis y con un patrón no lineal y acelerado.

Recientemente se ha desarrollado una herramienta que analiza los parámetros más relacionados con la periimplantitis para acabar formando un diagrama en el que se visualice el riesgo de desarrollar la patología. Estos factores son los antecedentes de periodontitis, la proporción de sitios con sangrado al sondaje, la prevalencia de profundidades de sondaje iguales o superiores a 5mm, la pérdida de hueso alveolar en relación a la edad del paciente, la susceptibilidad a la periodontitis, la terapia periodontal de mantenimiento, la distancia del margen de la restauración de la prótesis a la cresta ósea marginal y factores relacionados con la prótesis (acceso a la higiene, ajuste y atornillada Vs cementada). Este tipo de herramientas resultan de gran utilidad para establecer pautas de mantenimiento, controlar los factores de riesgo e incluso como herramienta de comunicación con los pacientes.

de periimplantitis.

A) Sondaje periimplantario profundo incompatible con salud periimplantaria y presencia de sangrado al sondaje; B) Radiografía periapical basal donde se puede apreciar la presencia de pérdida ósea marginal mesial y distal.

29 eldentistamoderno enero/febrero 2023
Dra. Ángela Redondo Odontóloga por la Universidad Europea Miguel de Cervantes UEMC de Valladolid. Idoia Ayllón Especialista en terapia periodontal & periimplantaria Periocentrum. Mª Carmen Blanco Especialista en terapia periodontal & periimplantaria Periocentrum. Silvia Justel Especialista en terapia periodontal & periimplantaria Periocentrum. Figura 1: Diagnóstico a) b)

caso clínicoIMPLANTOLOGÍA

A) Defecto óseo plano. Tipo

B) Defecto intraóseo. Tipo Ib;

C) Defecto intraóseo. Tipo Ic;

D) Defecto intraóseo. Tipo IIIc.

2. Configuración tridimensional del defecto

(Figura 3) (18-20):

Al igual que la toma de decisiones a la hora de regenerar o no defectos periodontales se basa fundamentalmente en el número de paredes disponibles que tenemos en el defecto periodontal, alrededor de implantes, las características tridimensionales del defecto a tratar son cruciales para decidir si el clínico se decanta por un abordaje resectivo o reconstructivo.

Existe una clasificación original en la que se distinguen dos tipos de defectos. Unos sin componente intraósea o inferior a 3mm, los denominados tipo II, que sería aquellos que serían susceptible de tratar de manera resectiva o no reconstructiva. Mientras que los otros defectos tipo I, con una componente intraósea se pueden subclasificar teniendo en cuenta el número de paredes remanentes o si se trata de un defecto puramente circunferencial. Estos últimos serían aquellos susceptibles de tratar de manera reconstructiva.

30 eldentistamoderno enero/febrero 2023
óseo Figura 2: Control de los factores de riesgo de patología periimplantaria y herramienta de medición del riesgo de desarrollar patología periimplantaria (obtenido de Heitz-Mayfield y cols 2020). Figura 3: Defectos óseos periimplantarios. II;

No obstante, existe una clasificación más reciente que explica de manera más detallada, la posible presencia de defectos combinados, pudiendo ser una componente supraósea en la parte más coronal del implante y presentar a su vez una componente intraósea o un cráter en la parte más apical. En estos casos, un tratamiento combinado, resectivo y reconstructivo, podría ser el abordaje de elección, seleccionando también en base a eso el método de descontaminación para cada una de las áreas.

Por último, mencionar que investigaciones recientes, han demostrado que aquellos implantes que en su defecto óseo se combinan con una dehiscencia ósea vestibular, son en su mayoría implantes colocados demasiado hacia vestibular y será importante tenerlo en cuenta a la hora de seleccionar diferentes biomateriales y su posible combinación con una membrana para el procedimiento reconstructivo.

3. Descontaminación de la superficie del implante (Figuras 4-7) (21-24): Si bien es cierto que gran parte del éxito del tratamiento quirúrgico parece estar asociado a las

características del defecto óseo periimplantario, cada vez existen más estudios de investigación que analizan los diferentes protocolos de descontaminación que existen. Estos métodos de descontaminación podrían agruparse en 4 bloques principales: físicos, mecánicos, químicos y otros (láser, electrólisis, foto-inducidos…). Hasta la fecha son los protocolos de descontaminación mecánicos los que mayor efectividad han demostrado y los que mayor respaldo científico tienen. La tendencia actual se divide entre la utilización de puntas ultrasónicas especificas para implantes, cepillos rotatorios de titanio u otros materiales y aeropulidores o chorreado de partículas de glicina y/o eritritol. No obstante, existe literatura emergente que está analizando la utilización de métodos mediante electrólisis que podrían ocasionar un daño menor sobre la superficie de los implantes y aparentan resultados prometedores aún por confirmar.

Adicionalmente, es importante destacar que las características de superficie de los implantes, el tipo de espira y la distancia entre las mismas juegan un papel importante en la eficacia de cada uno de los métodos de descontaminación.

Figura 4: Métodos de descontaminación de la superficie periimplantaria.

A) Cureta manual de titanio; B) Instrumento PS (Perio Slim) para ultrasonidos PIEZON®de EMS;

C) Instrumento PI y PI Max® con un revestimiento de punta de fibra de polieteretercetona (PEEK) para ultrasonidos PIEZON®de EMS; D) Tobera específica (PerioFlow®) para la descontaminación de la superficie periimplantaria;

E) Labrida BioClean® (LABRIDA AS, Oslo Norway) con revestimiento de chitosan o quitosano; F) ICT Nano® & ICT Micro®

31 eldentistamoderno enero/febrero 2023

caso clínicoIMPLANTOLOGÍA

5: Métodos de descontaminación de la superficie periimplantaria. A) GalvoSurge® (GalvoSurge Dental AG). Método de descontaminación de la superficie periimplantaria por medio de electrólisis; B) Mecanismo de acción de GalvoSurge®; C) Utilización de EDTA (ácido etilendiaminotetraacético) como método químico para descontaminación de la superficie periimplantaria.

6: Métodos de descontaminación de la superficie periimplantaria. A) Descontaminación de la superficie del implante con ICT Nano®; B) Imagen intraquirúrgica de la utilización de Peri-Brush® para la descontaminación de la superficie periimplantaria; C) Imagen intra-quirúrgica de la utilización de Labrida BioClean® para la descontaminación de la superficie periimplantaria.

eldentistamoderno enero/febrero 2023

32
Figura Figura

4. Tratamiento (25-32):

4.1. Tratamiento de la mucositis (Figura 8): La primera línea de tratamiento de la mucositis es la prevención. Para ello es necesario identificar y corregir los factores de riesgo presentes en cada paciente.

Una vez instaurada la patología es importante no demorar el tratamiento para evitar su progresión a periimplantitis. En este sentido, el tratamiento de la mucositis se realiza de manera no quirúrgica. El objetivo del tratamiento de la mucositis es descontaminar el surco

Figura 8: Tratamiento no quirúrgico de la mucositis.

A) Situación clínica basal con implantes en posición de 13 y 14 con sangrado al sondaje; B) Situación radiográfica basal donde se puede apreciar el mantenimiento de los niveles óseos marginales periimplantarios;

C) Situación clínica tras la retirada de las coronas implanto-soportadas atornilladas donde se puede apreciar la acumulación de placa bacteriana alrededor de los pilares prostodónticos;

D) Utilización de de PerioFlow® para la eliminación de la placa bacteriana; E) Situación radiográfica a 12 meses de seguimiento donde se puede apreciar el mantenimiento de los niveles óseos marginales periimplantarios;

F) Situación clínica a 12 meses de seguimiento donde se puede apreciar la presencia de salud periimplantaria en ausencia de inflamación ni sangrado al sondaje.

33 eldentistamoderno enero/febrero 2023
Figura 7: Protocolo de implantoplastia como coadyuvante al tratamiento quirúrgico resectivo de la periimplantitis. A) Utilización de fresa de carburo de tungsteno; B) Utilización de fresa de PerioSet® de balón de rugby; C) Utilización de fresa de PerioSet® lanceolada; D) Utilización de fresa de piedra de Arkansas blanca.

caso clínicoIMPLANTOLOGÍA

periimplantario, la superficie del pilar protésico y/o el cuello del implante mediante métodos de descontaminación que no dañen las características de superficie. Adicionalmente será necesario retirar la prótesis e identificar si de manera iatrogénica las coronas sobre los implantes no permiten un correcto acceso a la higiene. En esos casos, es necesario reacondicionar y corregir los contornos cerámicos a fin de permitir un correcto acceso. En este punto se puede considerar el uso coadyuvante de antisépticos ya sea en formato colutorio o gel.

4.2. Tratamiento de la periimplantitis: El objetivo del tratamiento de la periimplantitis ya no solo es resolver la inflamación de los tejidos blandos periimplantarios, sino además detener la progresión de la pérdida ósea. Esto se puede enfocar de manera no quirúrgica o quirúrgica:

4.2.1. Tratamiento no quirúrgico de la periimplantitis: El tratamiento no quirúrgico de la periimplantitis es mandatorio en todas aquellas situaciones clínicas en las que se haya observado pérdida ósea. Éste acostumbra a tener como consecuencia una reducción significativa de las profundidades de sondaje y de la presencia de sangrado al sondaje. Sin embargo, es necesario destacar que en muchas ocasiones resulta insuficiente para detener la progresión de la periimplantitis y el tratamiento quirúrgico acaba siendo necesario.

4.2.2. Tratamiento quirúrgico reconstructivo de la periimplantitis (Figuras 9 y 10):

Tal y como se ha descrito en este trabajo con anterioridad, la configuración anatómica del defecto óseo periimplantario provocado por la periimplantitis será la que determine si el tratamiento quirúrgico es de carácter re-

Figura 9: Tratamiento quirúrgico reconstructivo de la periimplantitis.

A) Situación clínica basal;

B) Situación radiográfica basal; C) Situación clínica tras elevar un colgajo a espesor total y eliminar el tejido de granulación;

D) Utilización de un xenoinjerto colágeno (BioOss Collagen®) para reconstruir la componente intraósea del defecto; E) Situación radiográfica a 12 meses de seguimiento; F) Situación clínica a 12 meses de seguimiento.

Figura 10: Tratamiento quirúrgico reconstructivo de la periimplantitis.

A) Situación clínica basal;

B) Situación radiográfica basal; C) Situación clínica tras elevar un colgajo a espesor total y eliminar el tejido de granulación; D) Utilización de un xenoinjerto colágeno (BioOss Collagen ®) para reconstruir la componente intraósea del defecto y una membrana de colágeno reabsorbible (BioGuide ®) para cubrir el injerto óseo;

E) Situación radiográfica a 12 meses de seguimiento;

F) Situación clínica a 12 meses de seguimiento.

34 eldentistamoderno enero/febrero 2023

Figura 11: Aumento de mucosa queratinizada alrededor de implantes.

A) Situación clínica basal;

B) Obtención de un injerto gingival libre del área tuberositaria y zona retromolar;

C) Colgajo a espesor parcial reposicionado apicalmente y sutura del injerto gingival libre en el lecho sangrante;

D) Situación clínica a 36 meses de seguimiento.

sectivo o reconstructivo. En aquellas situaciones en las que la componente intraósea no existe o sea inferior a 3mm el enfoque ha de ser resectivo, eliminando el tejido de granulación provocado por la periimplantitis y descontaminando la superficie del implante pudiendo tener en consideración la implantoplastia como coadyuvante. En aquellas defectos óseos en los que exista una componente intraósea de 3 o más milímetros debemos tener en mente la posibilidad de abordarlo de manera reconstructiva. Existe evidencia científica suficiente que respalda el uso de biomateriales para la reconstrucción de la componente intraósea de los defectos periimplantarios. Por el contrario, la utilización coadyuvante de membranas está en entredicho dado que investigaciones recientes han demostrado que no aportan beneficio adicional.

5. Manejo de tejidos blandos y mucosa queratinizada

(Figura 11) (33-39):

Cada vez existe más evidencia científica que defiende que la presencia de una banda de mucosa queratinizada adecuada (al menos 2mm) dota a los implantes de una menor vulnerabilidad ante una posible agresión bacteriana proporcionando además a los pacientes un mejor acceso y sensaciones al cepillado. Este hecho no justifica que en implantes que tras años de su colocación, en presencia de salud sino disponen de una banda adecuada de mucosa queratinizada deban realizarse aumentos de manera preventiva, pero si que en aquellas situaciones clínicas en las que se combine con inflamación recurrente y/o pérdida ósea se

valore la posible realización combinada del tratamiento necesario (resectivo o reconstructivo) con un incremento de mucosa queratinizada, ya sea con un injerto autólogo o sustituto.

6. Terapia periodontal y periimplantaria de mantenimiento (40-46):

Tras la realización de los tratamientos pertinentes, es importante monitorizar a los pacientes e interceptar el riesgo de re-aparición de la patología. Por ello es imprescindible introducir al paciente en un programa de mantenimiento periodontal y periimplantario que prevenga del riesgo de reaparición controlando la formación de placa bacteriana y los factores de riesgo de cada paciente. Acorde a los factores de riesgo se establecerá la frecuencia con la que cada paciente debe acudir a sus mantenimientos. En consecuencia la ausencia de mantenimiento o aquellos pacientes que no sean cumplidores o acudan de manera errática a los mantenimientos corren el riesgo de volver a desarrollar la patología tratada previamente.

Conclusión

La comprensión de todos los factores de riesgo, criterios diagnósticos y terapéuticos es crucial en la zona de decisiones y en la consecución y mantenimiento de la salud periimplantaria. 

Agradecimientos

Agradecer a la Dra. Ana Azkue y a la Srta. Mónica González su participación en la documentación de los casos clínicos que ilustran los diferentes métodos de descontaminación.

35 eldentistamoderno enero/febrero 2023

caso clínicoIMPLANTOLOGÍA

Resumen

Los implantes dentales son en la actualidad la manera ideal de reponer dientes ausentes o sustituir a aquellos que se clasifican con pronóstico imposible. No obstante, no están exentos de complicaciones y la prevalencia de patologías periimplantarias como son las mucositis y

Bibliografía

1. Berglundh T, Armitage G, et al. Peri-implant diseases and conditions: Consensus report of workgroup 4 of the 2017 World Workshop on the Classification of Periodontal and Peri-Implant Diseases and Conditions, pages S286-S291.

2. Araujo MG, Lindhe J. Peri-implant health, pages S230-S236.

3. Heitz-Mayfield LJA, Salvi G. Peri-implant mucositis, pages S237-S245.

4. Schwarz F, Derks J, Monje A, Wang H-L. Peri-implantitis, pages S246-S266.

5. Hämmerle CHF, Tarnow D. The etiology of hard- and soft-tissue deficiencies at dental implants: A narrative review, pages S267-S277.

6. Renvert S, Persson GR, Pirih FQ, Camargo PM. Peri-implant health, peri-implant mucositis, and peri-implantitis: Case definitions and diagnostic considerations, pages S278-S285.

7. Derks, J, Schaller, D, Håkansson, J, Wennström, JL, Tomasi, C, Berglundh, T. Peri-implantitis – onset and pattern of progression. J Clin Periodontol 2016; 43: 383– 388. doi: 10.1111/ jcpe.12535.

8. Rodrigo, D., Sanz-Sanchez, I., Figuero, E., Llodra, J. C., Bravo, M., Caffesse, R. G., Vallcorba, N., Guerrero, A., & Herrera, D. (2018). Prevalence and risk indicators of peri-implant diseases in Spain. Journal of Clinical Periodontology, 45(12), 1510–1520. https:// doi. org/10.1111/jcpe.13017

9. Romandini, M., Berglundh, J., Derks, J., Sanz, M., & Berglundh, T. (2021c). Diagnosis of peri- implantitis in the absence of baseline data: A diagnostic accuracy study. Clinical Oral Implants Research, 32, 297– 313. https://doi.org/10.1111/clr.13700

10. Romandini, M., Lima, C., Pedrinaci, I., Araoz, A., Costanza Soldini, M., & Sanz, M. (2021a). Clinical signs, symptoms, perceptions, and impact on quality of life in patients suffering from peri-implant diseases: A university-representative cross-sectional study. Clinical Oral Implants Research, 32(1), 100–111. https://doi.org/10.1111/clr.13683

11. Romandini, M., Lima, C., Pedrinaci, I., Araoz, A., Costanza Soldini, M., & Sanz, M. (2021b). Prevalence and risk/protective indicators of peri-implant diseases: A university-representative cross-sectional study. Clinical Oral Implants Research, 32(1), 112–122. https://doi.org/10.1111/clr.13684

12. Tomasi, C., & Derks, J. (2012). Clinical research of peri-implant diseases–quality of reporting, case definitions and methods to study incidence, prevalence and risk factors of peri-implant diseases. Journal of Clinical Periodontology, 39(Suppl 12), 207–223. https://doi. org/10.1111/j.1600051X.2011.01831.x

13. Vignoletti, F., Di Domenico, G. L., Di Martino, M., Montero, E., & de Sanctis, M. (2019). Prevalence and risk indicators of periimplantitis in a sample of university-based dental patients in Italy: A cross-sectional study. Journal of Clinical Periodontology, 46(5), 597– 605.https://doi.org/10.1111/jcpe.13111

14. Derks,J.,D.Schaller,J.Hakansson,J.L.Wennstrom, C. Tomasi, and T. Berglundh, Effectiveness of Implant Therapy Analyzed in a Swedish Population: Prevalence of Periimplantitis4. J Dent Res, 2016. 95(1): p. 43-9.

15. Heitz-Mayfield, L.J., Peri-implant diseases: diagnosis and risk indicators. J Clin Periodontol, 2008. 35(8 Suppl): p. 292-304.

16. Heitz-Mayfield, LJA, Heitz, F, Lang, NP. Implant Disease Risk Assessment IDRA–a tool for preventing peri-implant disease. Clin Oral Impl Res. 2020; 31: 397– 403. https://doi. org/10.1111/clr.13585

17. Derks J, Tomasi C. (2015) Peri-implant health and disease. A systematic review of current epidemiology. Journal of Clinical Periodontology 42 Suppl 16, S158-S171.

18. Schwarz F, Sahm N, Schwarz K, Becker J. Impact of defect configuration on the clinical outcome following

la periimplantitis es cada vez mayor. Por eso el objetivo de este artículo es ahondar en los criterios diagnósticos y terapéuticos de las patologías periimplantarias a fin de prevenir su aparición y lograr un resultado predecible en caso de necesitar tratamiento una vez instaurada la patología.

surgical regenerative therapy of peri-implantitis. J Clin Periodontol. 2010 May;37(5):449-55. doi: 10.1111/j.1600051X.2010.01540.x.

19. Monje, A, Pons, R, Insua, A, Nart, J, Wang, H-L, Schwarz, F. Morphology and severity of peri-implantitis bone defects. Clin Implant Dent Relat Res. 2019; 21: 635– 643. https://doi. org/10.1111/cid.12791

20. Wehner C, Bertl K, Durstberger G, Arnhart C, Rausch-Fan X, Stavropoulos A. Characteristics and frequency distribution of bone defect configurations in peri-implantitis lesions-A series of 193 cases. Clin Implant Dent Relat Res. 2021 Apr;23(2):178-188.

21. Monje A, Amerio E, Cha JK, Kotsakis G, Pons R, Renvert S, Sanz-Martin I, Schwarz F, Sculean A, Stavropoulos A, Tarnow D, Wang HL. Strategies for implant surface decontamination in peri-implantitis therapy. Int J Oral Implantol (Berl). 2022 Sep 9;15(3):213-248. PMID: 36082658.

22. Sanz-Martín, I., Paeng, K., Park, H. et al. (2020) Significance of implant design on the efficacy of different peri-implantitis decontamination protocols. Clin Oral Invest.

23. Regidor E, Ayllón I, lanco MC, Justel S, Ortiz-Vigón A. Innovación en descontaminación de la superficie periimplantaria. Dentista Moderno. Marzo 2021. 20-28.

24. Cha JK, Paeng K, Jung UW, Choi SH, Sanz M, Sanz-Martín I. (2019) The effect of five mechanical instrumentation protocols on implant surface topography and roughness: A scanning electron microscope and confocal laser scanning microscope analysis. Clin Oral Implants Res 30:578–587.

25. Pulcini A, Bollain J, Sanz-Sánchez I, Figuero E, Alonso B, Sanz M, Herrera D. (2019) Clinical effects of the adjunctive use of a 0.03% chlorhexidine and 0.05% cetylpyridinium chloride mouth rinse in the management of peri-implant diseases: A randomized clinical trial. Journal of Clinical Periodontology 46, 342-353.

26. Bollain, J., Pulcini, A., Sanz-Sánchez, I. et al. (2020) Efficacy of a 0.03% chlorhexidine and 0.05% cetylpyri-dinium chloride mouth rinse in reducing inflammation around the teeth and implants: a randomized clinical trial. Clin Oral Invest.

27. Faggion, C. M. Jr, Listl, S., Frühauf, N., Chang, H. J., & Tu, Y. K. (2014). A systematic review and Bayesian network meta-analysis of randomized clinical trials on non-surgical treatments for peri-implantitis. Journal of Clinical Periodontology, 41(10), 1015–1025.

28. Tomasi, C., Regidor, E., Ortiz-Vigón, A., & Derks, J. (2019). Efficacy of reconstructive surgical therapy at peri-implantitis-related bone defects. A systematic review and meta-analysis. Journal of Clinical Periodontology, 46, 340-356. doi:10.1111/ jcpe.13070 PMID - 30667523

29. Derks, J., Ortiz-Vigón, A., Guerrero, A., Donati, M., Bressan, E., Ghensi, P., Schaller, D., Tomasi, C., Karlsson, K., Abrahamsson, I., Ichioka, Y., Dionigi, C., Regidor, E., & Berglundh, T. (2022). Reconstructive surgical therapy of peri-implantitis: A multicenter randomized controlled clinical trial. Clinical Oral Implants Research, 33, 921– 944. https://doi.org/10.1111/clr.13972

30. Regidor E, Ortiz-Vigón A, Romandini M, Dionigi C, Derks J, Sanz M. The adjunte effect of bioabsorbable membrane to a xenogeneic bone replacement graft in the reconstructive surgical therapy of peri-implantitis. A randomized clinical trial. 2022. In preparation.

31. Karlsson, K., Derks, J., Håkansson, J., Wennström, J. L., Petzold, M., & Berglundh, T. (2019). Interventions for peri-implantitis and their effects on further bone loss: A retrospective analysis of a registry-based cohort. Journal of Clinical Periodontology, 46(8), 872–879. https://doi.org/10.1111/jcpe.13129

32. Monje A, Pons R, Roccuzzo A, Salvi GE, Nart J. Reconstructive therapy for the management of peri-implantitis via submerged guided bone regeneration: A prospective case series. Clin Implant Dent Relat Res. 2020;1–9. https://doi.org/10.1111/ cid.12913

33. Souza, A. B., Tormena, M., Matarazzo, F., & Araujo, M. G. (2016). The influence of peri-implant keratinized mucosa on brushing discomfort and peri-implant tissue health. Clinical Oral Implants Research, 27(6), 650–655. https://doi.org/10.1111/ clr.12703

34. Sanz, M., Lorenzo, R., Aranda, J. J., Martin, C., & Orsini, M. (2009). Clinical evaluation of a new collagen matrix (Mucograft prototype) to enhance the width of keratinized tissue in patients with fixed prosthetic restorations: A randomized prospective clinical trial. Journal of Clinical Periodontology, 36(10), 868–876. https://doi.org/10.1111/j.1600-051X.2009.01460.x

35. Ravida, A., Saleh, I., Siqueira, R., Garaicoa-Pazmino, C., Saleh, M. H. A., Monje, A., & Wang, H. L. (2020). Influence of keratinized mucosa on the surgical therapeutical outcomes of peri-implantitis. Journal of Clinical Periodontology, 47(4), 529–539. https://doi.org/10.1111/jcpe.13250

36. Lorenzo, R., Garcia, V., Orsini, M., Martin, C., & Sanz, M. (2012). Clinical efficacy of a xenogeneic collagen matrix in augmenting keratinized mucosa around implants: A randomized controlled prospective clinical trial. Clinical Oral Implants Research, 23(3), 316–324. https://doi.org/10.1111/j.16000501.2011.02260.x

37. Monje, A., & Blasi, G. (2019). Significance of keratinized mucosa/gingiva on peri-implant and adjacent periodontal conditions in erratic maintenance compliers. Journal of Periodontology, 90(5), 445–453. https://doi.org/10.1002/JPER.18-0471

38. Monje, A., Blasi, G., Nart, J., Urban, I. A., Nevins, M., & Wang, H. L. (2020). Soft tissue conditioning for the surgical therapy of peri-implantitis: A prospective 12-month study. The International Journal of Periodontics & Restorative Dentistry, 40(6), 899–906. https://doi.org/10.11607/ prd.4554

39. Solonko, M., Regidor, E., Ortiz-Vigón, A., Montero, E., Vilchez, B., & Sanz, M. (2021). Efficacy of keratinized mucosal augmentation with a collagen matrix concomitant to the surgical treatment of peri-implantitis: A dual-center randomized clinical trial. Clinical Oral Implants Research, 00, 1–15. https://doi. org/10.1111/clr.13870

40. Sanz-Martin I, Sanz-Sanchez I, Ortiz-Vigón A. Claves para el mantenimiento de la salud periimplantaria. Dentista Moderno. Octubre 2017. 34-38.

41. Koldsland OC, Aass AM. Supportive treatment following peri-implantitis surgery: An RCT using titanium curettes or chitosan brushes. J Clin Periodontol. 2020 Oct;47(10):1259-1267. doi: 10.1111/jcpe.13357.

42. Heitz-Mayfield LJA, Salvi GE, Mombelli A, Loup PJ, Heitz F, Kruger E, Lang NP. Supportive peri-implant therapy following anti-infective surgical peri-implantitis treatment: 5-year survival and success. Clin Oral Implants Res. 2018 Jan;29(1):1-6. doi: 10.1111/clr.12910.

43. Giulia, B, Marika, G, Sara, R, Cristiano, T, Eriberto, B. Patients’ perceptions of implant therapy and maintenance: A questionnaire-based survey. Clin Oral Impl Res. 2020; 31: 917– 927. https://doi.org/10.1111/clr.13634

44. Monje A, Wang HL, Nart J. Association of Preventive Maintenance Therapy Compliance and Peri-Implant Diseases: A Cross-Sectional Study. J Periodontol. 2017 Oct;88(10):10301041. doi: 10.1902/jop.2017.170135.

45. Costa FO, Takenaka-Martinez S, Cota LOM, Ferreira SD, Silva GLM, Costa JE, Peri-implant disease in subjects with and without preventive maintenance: a 5-year follow-up. J Clin Periodontol 2012; 39: 173–181. doi: 10.1111/j.1600051X.2011.01819.x.

46. Hu C, Lang NP, Ong MM, Lim LP, Tan WC. Influence of periodontal maintenance and periodontitis susceptibility on implant success: A 5-year retrospective cohort on moderately rough surfaced implants. Clin Oral Implants Res. 2020 Aug;31(8):727-736. doi: 10.1111/clr.13621.

36 eldentistamoderno enero/febrero 2023

24-25 febrero BARCELONA SEPES-SEPA CLÍNICA

Perio-Prótesis, una sinergia esencial para la Odontología.

PRÓTESIS Y PERIODONCIA dos disciplinas inseparables si queremos lograr la excelencia.

Más de 20 expertos nos darán la solución a los retos diarios que plantea la clínica actual de la mano de SEPES y SEPA

INSCRÍBETE CON LA MEJOR TARIFA en www.sepes.org

SEDE: World Trade Center

Moll de Barcelona, s/n Edificio Sur 08039 - Barcelona

HORARIO

Viernes 15:30 – 20:00 h. / Sábado 9:30 – 13:30 h.

37 eldentistamoderno enero/febrero 2023

“SEOP 2023 SE PRESENTA CON UN ENFOQUE MULTIDISCIPLINAR EN EL TRATAMIENTO ODONTOPEDIÁTRICO”

Con un enfoque multidisciplinar del tratamiento odontopediátrico, la XLIV Reunión Anual de la Sociedad Española de Odontopediatría (SEOP), que se celebrará del 11 al 13 de mayo en Castellón, aportará a los profesionales una actualización de conceptos que podrán incorporar en su día a día. Así lo avanza la Dra. Marta Ribelles, presidenta del Comité Organizador de la XLIV Reunión Anual de SEOP, destacando la importancia de la formación continua para mejorar la atención al paciente pediátrico en la consulta dental.

 DM.- Como presidenta del Comité Organizador de la XLIV Reunión Anual de la Sociedad Española de Odontopediatría (SEOP), ¿en qué líneas están trabajando a la hora de desarrollar el programa científico del encuentro?

Dra. Marta Ribelles (Dra. M.R.).- Afortunadamente y tras un retraso de tres años, podemos sentirnos muy ilusionados ya que, por fin, del 11 al 13 de mayo de 2023 podremos recibir en Castellón a compañeros y amigos para la celebración de la XLIV Reunión Anual de la SEOP. Nuestro objetivo primordial ha sido trabajar para que nos puedan acompañar los ponentes invitados a participar en la edición del año 2020 y que quedó cancelada por la pandemia. Afortunadamente el 95% de todos ellos estarán en breve, el próximo mayo, en nuestro Palacio de Congresos de Castellón. Además y siempre con el afán de enriquecer el programa científico, hemos podido contar con nuevos ponentes como los Dres. Primitivo Roig y Mario Zurita que también nos acompañarán con sendas magníficas conferencias. Nuestro objetivo formativo se basa en actualizar conocimientos sobre diagnóstico, nuevas tecnologías y procedimientos terapéuticos en el ámbito odontopediátrico, sin olvidar la importancia de la constitución de distintos foros de intercambio de opinión entre los asistentes.

entrevista ENTREVISTA 38 eldentistamoderno enero/febrero 2023
Dra. Marta Ribelles, presidenta del Comité Organizador de la XLIV Reunión Anual de SEOP Castellón 2023

 DM.- En concreto, ¿qué temáticas se incorporarán al programa para formar a los profesionales sobre los últimos avances en Odontopediatría?

Dra. M.R.- En la actualidad la caries dental sigue siendo un verdadero problema de salud pública en el paciente infantil. En España, según el Consejo General de Dentistas, más del 30% de los niños menores de 6 años presenta lesiones de caries. Frente a esta problemática, gran parte de las actividades que integran el programa científico van enfocadas en esa línea: desde la prevención primaria, pasando por el tratamiento de mínima intervención, hasta el tratamiento restaurador/ complejo de la enfermedad de caries. Sin embargo, el profesional odontopediátrico trata al paciente infantil desde el punto de vista multidisciplinario, por lo que es importante que reciba formación continua en otras áreas que estarán presentes en esta reunión, destacando aquellas actividades relacionadas con el tratamiento de ortodoncia interceptiva. No podemos olvidar la importancia de los aspectos legales en el manejo del tratamiento del paciente infantil, por lo que ha sido fundamental incluir una mesa redonda que permita analizar la importancia del consentimiento informado en la atención de los menores de edad. Con total seguridad, cada una de las actividades previstas aportarán actualización de conceptos y el congresista podrá incorporar estas novedades en su quehacer del día a día.

 DM.- ¿A qué profesionales está dirigido el encuentro?

Dra. M.R.- Las reuniones anuales de la SEOP suponen el encuentro de estomatólogos y odontólogos que dirigen su praxis profesional a la atención del paciente infantil y adolescente. Si bien es cierto que la mayor parte de los participantes son odontopediatras miembros activos de la SEOP, también un gran número de los participantes que acuden a este evento son alumnos de posgrado de las distintas universidades españolas que están formándose en el área de la Odontopediatría y que constituyen el futuro más cercano de la profesión. En esta edición nos complace invitar también a compañeros dentistas con práctica generalista, ya que el programa científico es multidisciplinar y la mayoría de aspectos a desarrollar resultarán muy enriquecedores a incorporar en su práctica diaria. Por último y no siendo menos importante, la invitación también se hace extensiva a nuestros alumnos de grado de Odontología. Tengo la gran satisfacción de ser parte de su formación en la Universidad CEU-Cardenal Herrera y considero que este tipo de formación resulta de gran interés para ellos.

Nos encantaría contar con la presencia de la mayoría de ellos, puesto que han sido años complicados donde no hemos podido llevar a cabo estos reencuentros. Ojalá que SEOP Castellón 2023 sea un gran punto de reencuentro para todos.

 DM.- ¿Cuáles serán los ponentes que participarán en la próxima Reunión Anual de SEOP?

Dra. M.R.- Contamos con un excelente grupo de ponentes expertos en distintas áreas del tratamiento odontopediátrico. No voy a citar a cada uno de los 30 ponentes –se pueden consultar en www.seopcastellon.com–, pero sí quiero destacar su excelencia desde el punto de vista profesional y humano. Agradezco de todo corazón que muchos de ellos cuatro y cinco años después de mi primer contacto con ellos, sigan apostando por su participación en SEOP Castellón.

 DM.- Teniendo en cuenta el enfoque multidisciplinar en la atención al paciente pediátrico, ¿cómo se abordarán a lo largo de la XLIV Reunión Anual de SEOP las distintas temáticas desde este punto de vista?

Dra. M.R.- En el programa científico destacamos el desarrollo de tres cursos, tres mesas redondas, 11 conferencias y una actividad de análisis de casos interactivos. Todas estas actividades están diseñadas para ser abordadas desde el punto de vista multidisciplinar contando con la participación de expertos en las distintas áreas y moderadas por expertos odontopediatras, miembros de los Comités Organizador y Científico, respectivamente.

39 eldentistamoderno enero/febrero 2023

 DM.- También está prevista la inclusión de talleres. ¿Cuáles serán los temas abordados en estas formaciones?

Dra. M.R.- Contamos con la celebración de cuatro talleres distribuidos en los tres días de celebración de la reunión. Agradecemos la ya tradicional colaboración del Dr. Sebastián Ortolani y los Sres. Marcel Martín y Pere Roselló, que un año más nos acompañan dirigiendo los talleres de pulpectomía en dentición temporal y fotografía dental, respectivamente. Como novedad, este año se incorporan a este tipo de actividad la Dra. Tabata Álvarez y la Dra. Ana Roig que han preparado sendos talleres, el primero de pulpotomías y el segundo de resinas infiltradas. Me consta que cada uno de ellos tendrá

una excelente acogida no solo por el contenido de los mismos, sino por la gran experiencia y profesionalidad de los dictantes.

 DM.- Por otro lado, el encuentro contará con un curso especializado para auxiliares e higienistas. ¿Qué contenidos incluirá esta formación?

Dra. M.R.- El curso especializado para auxiliares e higienistas se celebrará el sábado 13 de mayo, último día del congreso. Las responsables de esta actividad serán las Dras. González y Mayné, quienes dictarán un curso sobre la protocolización dirigida a higienistas en atención temprana. El/ la higienista dental, como parte del equipo de salud de una clínica dental, ejerce un papel importante en la orientación del comportamiento del paciente pediátrico. Por este motivo es importante que reciba formación actualizada sobre aspectos de prevención en la odontología del bebé, cariología y odontología de mínima intervención, actitudes para enfocar un traumatismo dental y la profundización en técnicas de guía de la conducta.

 DM.- Para terminar, ¿cómo ayudará la XLIV Reunión Anual de SEOP a los profesionales a actualizar sus conocimientos para mejorar su praxis diaria?

Dra. M.R.- El programa científico abordará diferentes aspectos del tratamiento odontopediátrico desde el punto de vista multidisciplinario que el congresista podrá incorporar a su praxis diaria. Además, no debemos olvidar que el reencuentro en este tipo de evento ayuda al intercambio de opinión y a la socialización entre los participantes que enriquece si cabe aún más en la formación continua del profesional.

El programa científico es clave en la celebración de una reunión anual de estas características pero el programa social es sin duda otro de los alicientes de la reunión. Todo el Comité Organizador se está esforzando para que SEOP Castellón quede siempre en el recuerdo de todos los asistentes. Como despedida, agradecer a todas las personas, entidades y empresas implicadas en la preparación de SEOP Castellón 2023 e invitar a compañeros y amigos para que nos puedan acompañar en este evento.

SEOP Castellón supone un nuevo recomienzo hacia la presencialidad de tan esperada reunión. ¡Os esperamos en Castellón! 

entrevista ENTREVISTA 40 eldentistamoderno enero/febrero 2023
El profesional odontopediátrico trata al paciente infantil desde el punto de vista multidisciplinario, por lo que es importante que reciba formación continua en otras áreas que estarán presentes en esta reunión, destacando aquellas actividades relacionadas con el tratamiento de ortodoncia interceptiva
En la actualidad la caries dental sigue siendo un verdadero problema de salud pública en el paciente infantil y, frente a esta problemática, gran parte de las actividades que integran el programa científico van enfocadas en esa línea: desde la prevención primaria, pasando por el tratamiento de mínima intervención, hasta el tratamiento restaurador/complejo de la enfermedad de caries

Ponentes

Comité

Organizador

Presidenta

Marta Ribelles Llop

Vice-presidente

Francisco Guinot Jimeno

Secretaria

Salomé García Monfort

Tesorera

Mª José Gavara Navarro

Vocales

Isabel Cadroy Parra

Jorge Cantero Fabregat

Neus Galofré Kessler

Fátima González Galván

Laura Marín Sánchez

Mª José Martí Guillem

Silvia Martí Pons

Isabel Maura Solivella

Irene Muñoz Crespo

Comité

Científico

Presidenta

Montserrat Catalá Pizarro

Vice-presidenta

Ana Mª Leyda Menéndez

Vocales

Tábata ÁLvarez Muro

Andrea Armengol Olivares

Verónica Ausina Márquez

Filo Estrela Sanchís

Laura Marqués Martínez

Eva Martínez Pérez

Ana Mingarro de León

Antonio José Ortiz Ruiz

Salvatore Sauro

41 eldentistamoderno enero/febrero 2023
Dolz Solsona Jenny Abanto Tábata Álvarez Muro Mª Teresa Xavier Antunes de Azevedo Amalia Arce Casas Santiago Arias de Luxán Corrado Caporossi Zafer C. Çehreli Margherita Fontana José Mª Mora Raúl García Esparza Cristina García Villa Yndira González Chópite Raquel González Martínez Esmeralda Herrero Vicent Carmen Llena Puy Marcel Martín Barceló Javier Massaguer Cabrera Ruth Mayné Acién Pere Roselló Barceló Sebastián Ortolani Seltenerich Javier Plaza Burgués Salvatore Sauro Gema Redondo Santiago
hasta el 28 de FEBRERO Inscripción abierta CUOTA
Francisco Sánchez González-Dans
REDUCIDA
del 11 al 13 de mayo Castellón
Perdomo Lovera
2023
Grupo
congreso@seopcastellon.com www.odontologiapediatrica.com GRUPO MERAKI
Francisco Monedero Meraki - Eventos con alma Fernando Giner Gil

IMPLANTES CIGOMÁTICOS: EVOLUCIÓN, OPTIMIZACIÓN Y PERFECCIONAMIENTO

Desde los inicios de los implantes cigomáticos en 1998 para la rehabilitación del maxilar atrófico con el protocolo AD-Modum Bränemark hasta nuestros días, ha habido un gran recorrido de más de 20 años de uso y avances, demostrando ser una opción terapéutica reconstructiva-rehabilitadora eficiente y predecible, presentando altas tasas porcentuales de éxito según los diversos estudios con su vasta evidencia científica en la literatura recopilada, ofreciendo múltiples ventajas para los pacientes que presentan dichas atrofias maxilares y posibilitando así su rehabilitación disminuyendo tanto los tiempos de tratamiento como la morbilidad asociada a grandes injertos reconstructivos, devolviendo la función y estética con una franca recuperación de la calidad de vida.

Esta modalidad de tratamiento ha experimentado a través del tiempo distintos abordajes quirúrgicos y se ha refinado en virtud de la mejora y eficiencia del protocolo, permitiendo prevenir y evitar complicaciones para optimizar aún más su índice de éxito, tomando en cuenta para ello todos los factores anatómicos, biológicos, biomecánicos y de biofuncionalización críticos inherentes a esta intervención.

En sus inicios la técnica de implantes cigomáticos en la rehabilitación de los maxilares atróficos estaba presentada para la colocación de dos implantes cigomáticos, es decir 1 implante cigomático de manera bilateral que se posicionaban de forma muy palatinizada, junto a 4-2 implantes convencionales en la zona de la premaxila. En el año 2003, Bothur y Balshi publican artículos sobre el uso de múltiples implantes cigomáticos para la rehabilitación del maxilar atrófico, abriendo de esta forma las vías y líneas de aplicación, investigación y desarrollo para la rehabilitación mediante múltiples implantes cigomáticos en los casos con una insuficiencia ósea completa maxilar incluyendo el área de la premaxila. Así con la colocación de 4 implantes cigomáticos denominado quadzygoma o zygoma quadruple, se obtuvo una solución efectiva para pacientes con maxilares totalmente atróficos presentando patrones de reabsorción ósea horizontal, vertical o la combinación de ambos (hueso basal), brindando una rehabilitación fija a pacientes con estas características. Desde el protocolo inicial “AD-Modum Bränemark” de 1998, surgen nuevos abordajes o técnicas para la colocación de implantes cigomáticos en virtud de optimizar y mejorar el protocolo existente como son:

opinión IMPLANTES CIGOMÁTICOS 42 eldentistamoderno enero/febrero 2023
Residencia en Cirugía Buco-Maxilofacial Máster en Cirugía e implantología Oral Licenciado en Odontología Director Médico de
Unidad Quirúrgica de Atro-
Maxilares
Cibumax,
Dr. Vladimir García Lozada DDS, MS, PhD Doctor
in Oral & Maxillofacial Implantology
la
fias
|
España

 “Slot Technique” (Stella & Warner: 2000).

 “Exteriorized Approach” (Migliorança: 2006).

 “Extrasinus Approach” (Aparicio: 2008).

 “Extramaxillary Approach” (Maló: 2008).

 “Extrasinusal Path” (Chow: 2010) .

A pesar de todos estos abordajes que indudablemente contribuyeron a la evolución y mejora de la técnica, aún faltaba por determinar unas claras directrices y un consenso que de forma lógica y racional estableciera que abordaje realizar según el caso en cuestión, y no todos los casos realizarlos de manera única ó con un único abordaje.

En el año 2011 Aparicio publica el articulo sobre la Proposición de clasificación para implantes cigomáticos basados en el abordaje guiado por la anatomía (ZAGA), estableciendo de esta forma la clasificación ZAGA que, con un abordaje holístico basado en la anatomía del paciente y con claros parámetros globales en cuanto a este tipo de intervención, considera diferentes aspectos y variables para la optimización de la trayectoria del implante entre otros muchos aspectos reflejados, constituyendo de esta manera un valioso aporte para la evolución de esta técnica que a día de hoy es referencia como consenso para el abordaje de esta modalidad de tratamiento, quedando plasmado en el año 2012 con la publicación del libro Zygomatic Implants The Anatomy-guided Approach (ZAGA). Cabe destacar que según la trayectoria que pueda tener el implante cigomático, las posibles complicaciones asociadas a tener en cuenta pueden ser la rinosinusitis y las deshiscencias vestibulares, de las cuales la rinosinusitis se asocian a un trayecto intrasinusal, mientras que la dehiscencia vestibular a un trayecto extramaxilar. Para

contrarrestar esto, hay diversas herramientas y técnicas asociadas que nos ayudan a prevenir y evitar dichas posibles complicaciones, comenzando lógicamente por una depurada planificación y ejecución de la técnica tomando en cuenta todas las variables anatómicas, morfológicas, biológicas tanto de los tejidos duros como de los tejidos blandos, así como la preservación de tejidos o la mejora del sitio recipiente con técnicas como pueden ser los colgajos pediculados de injertos conectivos, la bola adiposa de bichat, el diseño de la incisión e inclusive el diseño de los implantes cigomáticos según diversos parámetros a tomar en consideración. Las nuevas tecnologías en esta era digital aplicadas como factor evolutivo a la cirugía de implantes cigomáticos ya están disponibles y se han optimizado desde hace algún tiempo, siendo elementos a considerar: los softwares digitales de planificación virtual, así como los modelos estereolitográficos (biorréplicas) con impresión 3D, la cirugía guiada con guías estáticas óseo soportadas, e inclusive las guías modulares para cirugía y prótesis de carga inmediata manufacturadas con impresión 3D, cabiendo añadir la aparatología específica para la navegación dinámica intraoperatoria actuando a manera de GPS en tiempo real (real time tracking). Es de suma importancia acotar que una gran experiencia previa en la cirugía de implantes cigomáticos antes de la utilización de guías estáticas y dinámicas es recomendable, puesto que la experiencia del operador junto a un adecuado y correcto campo visual de la zona a tratar, así como todo el conocimiento profundo per se de la gran cantidad de variables a tomar en cuenta para este tipo de intervención no es un sustituto.

43 eldentistamoderno enero/febrero 2023

opinión

implantes cigomáticos junto al protocolo de carga inmediata, lo cual supone una gran mejora en cuanto a la disminución del tiempo de tratamiento, la disminución de la morbilidad, y a la recuperación inmediata de la función y estética para el paciente al recibir dientes fijos mediante una prótesis provisional atornillada el mismo día de la intervención quirúrgica.

Biomecánicamente el protocolo quadzygoma (4 implantes cigomáticos) con una adecuada distribución de los implantes en el arco del maxilar atrófico ha demostrado ser de gran efectividad en la rehabilitación, aunque es posible inclusive dependiendo del caso mejorar la distribución de cargas incluyendo implantes convencionales hacia la zona anterior de primeros incisivos ó la colocación de implantes tuberositarios ó pterygoideos hacia la zona posterior para dar un soporte extra, ampliando nuestro espectro de carga desde la zona más anterior a la más posterior (A-P spread) limitando así los cantilever. De igual manera que con los implantes convencionales, una prótesis atornillada fija con estructura rígida ferulizada a los implantes mediante un ajuste pasivo, y con el correcto balance oclusal entre otros varios detalles protéticos a considerar, es fundamental para el éxito de la rehabilitación como componente quirúrgico y protésico. La carga inmediata sobre implantes cigomáticos ha demostrado su indudable efectividad, justificado a su vez con la gran data de estudios y reportes en la literatura científica evidenciando el elevado porcentaje de éxito obtenido. Los primeros estudios publicados en este aspecto usando carga inmediata sobre implantes cigomáticos junto a implantes convencionales fueron en el año 2006 por Bedrossian; y Chow, que posteriormente en el año 2007 Duarte publicaría un articulo relativo a la carga inmediata sobre 4 implantes cigomáticos, así como los estudios publicados en el 2010 por Davó y Kuabara, abriendo una nueva modalidad de tratamiento que permitiría la posibilidad de rehabilitar los maxilares atróficos mediante

En la evolución de la técnica de implantes cigomáticos, otro factor a tomar en consideración para la optimización de este protocolo es el diseño del implante. Así como se ha presentado la evolución de los abordajes y técnicas entre otros muchos factores para la mejora de este protocolo, los diseños de implantes cigomáticos también han evolucionado a través del tiempo en cuanto a su macrogeometría, superficie de tratamiento, y conexión protésica. Por lo tanto se puede clasificar el implante cigomático en cuanto a diseño en 3 zonas: zona apical, zona intermedia y zona coronal, que dependiendo del sistema de implante a utilizar, podremos observar y encontrar según estas zonas, las mayores diferencias y similitudes entre los diversos sistemas existentes. Cabe destacar que según el caso en particular a tratar, pueden haber diseños que favorezcan un mejor comportamiento biológico y funcional, aunado al abordaje aplicado, las medidas de prevención quirúrgicas realizadas y a la adecuada ejecución protésica. El refinamiento de esta modalidad de tratamiento ha estado en continua evolución para que sea posible a su vez, crear y establecer según distintos patrones de seguimiento y evaluación de su comportamiento a través del tiempo según las datas recopiladas y experiencias, de valiosos aportes como los “criterios de éxito en implantes cigomáticos” publicados en el año 2011 por Aparicio, los “criterios de éxito ORIS” en el 2020, las “zonas criticas en implantes cigomáticos” en el 2021, así como a las “medidas de prevención y manejo de complicaciones” publicado por Bedrossian en el 2018, entre otros varios excelentes aportes según las líneas de investigación aplicadas para esta técnica.

En mi apasionante recorrido de más de una década utilizando y aplicando el protocolo de implantes cigomáticos, sigue siendo motivador el poder aportar con publicaciones y actividades de formación mi grano de arena para este tratamiento. El concepto del implante cigomático mundialmente extendido debe ser muy cuidadosamente aprendido y enseñado; el aprendizaje y estudio continuo es mandatorio y más aún para quien realiza este protocolo de manera sistemática en virtud de la rehabilitación de los pacientes de forma segura y predecible, conllevando a un estado de gran análisis e inmersión al mínimo detalle referente a esta modalidad de tratamiento hacia la continua evolución, optimización y perfeccionamiento.

44 eldentistamoderno enero/febrero 2023
IMPLANTES CIGOMÁTICOS

PROMOCIÓN DE LA SALUD FORMACIÓN CONTINUADA ACCIÓN SOLIDARIA

45 eldentistamoderno enero/febrero 2023 FUNDACIÓN DENTAL ESPAÑOLA TU SALUD ORAL NUESTRO COMPROMISO
www.fundaciondental.es

EL IMPACTO DE LA INFLACIÓN EN EL SECTOR CONSUMER HEALTH

El contexto inflacionario ha influido en el sector Consumer Health, en el que se incluye la categoría de Higiene Oral. A lo largo de las próximas líneas, IQVIA nos desvela cómo ha reaccionado este sector ante la inflación y las estrategias de precio más adecuadas.

Apartir del segundo semestre de 2021 la aceleración de la inflación comienza a ser más evidente, alcanzando el máximo durante el verano de 2022, en los que la inflación superó el 10%. La reapertura económica tras la pandemia, la crisis de la cadena de suministros que ha disminuido la cantidad de bienes en circulación, la subida de los precios de la energía y, por último, el desencadenamiento de la guerra en Ucrania han sido las principales razones que han provocado el aumento de la inflación en España y también en las principales economías del mundo. Ha empeorado aún más la situación al afectar los suministros de energía y alimentos en Europa Occidental.

En este contexto inflacionario, desde IQVIA han publicado el estudio “Dinámicas de precios del mercado de Consumer Health en un contexto inflacionario” para dar a conocer cómo se ha reflejado esta inflación en los productos de Consumer Health –y

cuáles han sido las categorías más y menos sensibles al precio–, y qué factores son críticos para las compañías del sector en el momento de replantearse su estrategia de precios en el canal farmacia.

El sector Consumer Health y la inflación

Según el análisis de IQVIA, “en el pasado y hasta octubre de 2021, la variación promedio de los precios en Consumer Health había estado muy alineada con la inflación subyacente de ese momento. No obstante, a partir del 2022, especialmente a partir del mes de mayo, es cuando se empieza a observar un distanciamiento entre el aumento promedio de precio y el IPC subyacente. En caso de coger como referencia el IPC general, esta distancia ya se empieza a observar a finales del año 2021”. Al comparar la estrategia de precios seguida por las diferentes referencias se aprecia cómo la política de precios ha sido dispar: un 23% de las referencias

reportaje 46 eldentistamoderno enero/febrero 2023 CONTEXTO ECONÓMICO
FUENTE: Estudio “Dinámicas de precios del mercado de Consumer Health en un contexto inflacionario” - IQVIA Pexels

han aumentado su precio un 5% o más, mientras que un 3% han disminuido su precio un 5% o más; la mayoría han decidido optar por un aumento más moderado entre más de un 0% y un 5%. Esta disparidad en cuanto a la estrategia de precios también se puede observar a nivel compañía, dependiendo del tamaño de la misma. Así, según el estudio “en general, las compañías clasificadas como grandes (con unas ventas superiores a 50 millones de euros en el último TAM a PVPIVA) son más agresivas en su estrategia de precios mientras que las pequeñas (menos de 10 millones a PVPIVA en el último TAM) son más conservadoras. De estas últimas en un 56% de las compañías ninguna de sus referencias subió un 5% o más su precio versus el 28% de las grandes. Sin embargo, también entre estas compañías pequeñas encontramos las más atrevidas, ya que un 15% de ellas ha aumentado entre el 80% y el 100% de sus referencias por encima del 5% versus 3% de las grandes”.

Por categorías, aquella en la que más referencias han incrementado su precio por encima del 5% es nutrición infantil donde un 51% de las referencias han seguido esta estrategia. Asimismo, es la categoría en que el aumento del precio promedio ha sido mayor. Estas dinámicas son probablemente debido a que el grupo de alimentación es uno en los que se ha experimentado un mayor aumento del IPC juntamente con el grupo energía. Por su parte, el resto de nutrición y cuidado facial son las categorías con incremento menor del precio promedio, con un 2,3% y un 2% respectivamente. La categoría con un menor porcentaje de referencias con un aumento por encima del 5% es higiene oral, donde solamente un 17% de las referencias se encuentran en esta situación.

Elasticidad precio de la demanda

Desde IQVIA también han analizado la elasticidad de las principales categorías del mercado de Consumer Health. De las nueve categorías analizadas, las

Precio promedio, variación promedio de precio y porcentaje de referencias con un aumento superior al 5% por categoría.

FUENTE: Estudio “Dinámicas de precios del mercado de Consumer Health en un contexto inflacionario” - IQVIA

Elasticidad y precio promedio de las categorías.

FUENTE: Estudio “Dinámicas de precios del mercado de Consumer Health en un contexto inflacionario” – IQVIA

47 eldentistamoderno enero/febrero 2023

FUENTE: Estudio “Dinámicas de precios del mercado de Consumer Health en un contexto inflacionario” – IQVIA

menos sensibles al precio son aquellas relacionadas con el cuidado del paciente (PAC) tanto la sub-categoría de incontinencia como el resto de PAC que incluye cuidado de heridas, jeringuillas y apósitos, entre otros (el análisis se ha ceñido en todos los casos en las presentaciones no reembolsadas). Estos productos suelen ser productos con una menor fuga de canal comparado con otras de las categorías, productos de primera necesidad en muchos casos y además en promedio más económicos. Dentro de las categorías con elasticidad moderada, nos encontramos la categoría OTC y la de Cuidado Facial. En este caso los productos de OTC en muchas instancias son comparables a los de PAC en el sentido que suelen adquirirse en momentos de necesidad inmediata, mientras otros como las vitaminas son más compras programadas lo que permite al consumidor ser más sensible al precio y/o promociones. Con respecto a la categoría de Cuidado Facial, las principales referencias analizadas de esta categoría tienen un precio promedio superior al resto de PEC – Dermo, por lo que entendemos que los impulsores de compra de esta categoría están menos relacionados con el precio que productos de cuidado personal más económicos. En contrapartida, las categorías de nutrición tienen elasticidad promedio entre alta y muy alta. Esto entendemos que se debe a que, por la naturaleza de la categoría, suelen ser compras más recurrentes y planificadas que tienen un peso relevante en la economía familiar, lo que permite a los compradores ser más sensibles a las variaciones de precio y/o promociones y además el nivel de competencia de otros canales como el online y el supermercado es relevante.

No obstante, cabe destacar que no todas las referencias dentro de la misma categoría comparten las mismas dinámicas de sensibilidad al precio.

Previsiones 2023

Históricamente el mercado de Consumer Health y su evolución se ha visto muy influenciado por el estado general de la economía del país. Según indican desde IQVIA, “las últimas proyecciones del Fondo Monetario Internacional (FMI) muestran una ralentización tanto en el crecimiento del producto interior bruto (PIB) como en la inflación en los próximos años. En la última actualización de las proyecciones para 2023 el FMI situaba el PIB en un 1,2% y del IPC en un 4,1%. Esto, aunado a la tendencia creciente de incrementos de precio en los productos de Consumer Health, hace pensar que aún faltan por ver ajustes de precios en las subcategorías menos afectadas hasta ahora”.

Con estas previsiones, “el contexto económico obligará a muchas empresas inmiscuidas en el mercado del autocuidado a replantearse su política de precios, pero esta nueva política de precios será en un entorno económico menos favorable donde se espera una desaceleración del PIB”, tal y como apunta IQVIA en su análisis, añadiendo que “para establecer esta política de precios es preponderante tener un buen entendimiento de la dinámica de precios y elasticidad de sus propias marcas y conocer cómo afectaría a tu propia marca un cambio de precio de su competencia para poder navegar de la mejor manera las aguas inciertas que significan el 2023”. 

reportaje 48 eldentistamoderno enero/febrero 2023 CONTEXTO ECONÓMICO
Elasticidad precio de la demanda por referencia y categoría.

Siguiendo la evolución de la Odontología para el profesional del sector llamado a construir el futuro

ENTREVISTA A LA INDUSTRIA DENTAL

“Salugraft lidera la introducción y formación en el uso de soluciones regenerativas innovadoras”

• Juan de Dios Briones, fundador y director general de Salugraft

PENSANDO EN EL FUTURO

Tecnología para dar forma a la odontología del mañana

• Dr. Martin Ravets, fundador y director ejecutivo de Dentaverse

GESTIÓN, COMUNICACIÓN Y MARKETING

Las redes sociales y nuevas vías de comunicación con el paciente en la odontología

• Dr. Simón Pardiñas López, creador de Dentalk.tv

D4.0 DENTlST..4.0 eldentistamoderno SIGUIENDO LA EVOLUCIÓN DE LA ODONTOLOGIA PARA EL PROFESIONAL DEL SECTOR LLAMADO A CONSTRUIR FUTURO 11________ .,_,____ --- _.......__ "'"""' l!:I___,...,.....---04.0 DENTISTAO eldentistarnoderno www.eldentistamoderno.com ENTREVISTAS •Pro!.ora.Morí&PazSalido, odoO\OIOg¡,ye,;peciolislaanP<6l8SIS 0Dra.MariaJesú5l'élllZRodngutt,.; p,esidenlade\aSOcie\láGEspoi\D '"'LáserYfo\oteraplael1CX10nt()logío PERIODONCIA� CIRUGÍAGUIADA INVESTIGACIÓN: Microbiomabucal yPeriodontitis ODONTOLOGÍAYSALUD GENERAL:Mlcroblota � D4..:.:·-=º ----ENTREVISTA ALA INDUSTRIA DENTAL: Expodental ORALMEDICINEIMSIDE by te.��
DECÚNICA revistasalaño + boletíndigital D4.0 DENTlSTA.0 Suscríbete www.eldentistamoderno.com Síguenos en: � 11 1m LA REVISTA PIONERA QUE TRATA EN EXCLUSIVA LA TECNOLOGÍA Y DIGITALIZACIÓN También puedes suscribirte en el teléfono 912 972 000 o contactar con nosotros en administracion@versysediciones.com
PENSANDOENELFl)l\JRO GESTIÓN
65 moderno enero/febrero 2023

“SALUGRAFT LIDERA LA INTRODUCCIÓN Y FORMACIÓN EN EL USO DE SOLUCIONES REGENERATIVAS INNOVADORAS”

Juan de Dios Briones, fundador y director general de Salugraft

Este año Salugraft Dental cumple 10 años en el sector de la regeneración ósea y tisular. Desde su nacimiento en 2013, su misión ha sido ofrecer al profesional dental las más innovadoras soluciones y tecnologías con la innovación y la formación como principales motores. En esta entrevista, Juan de Dios Briones, fundador y director general de Salugraft, nos habla sobre la filosofía y compromiso de la compañía por ofrecer al clínico “el abanico de soluciones regenerativas más amplio y completo, poniendo a su alcance todas las opciones de los mejores biomateriales y, de esta manera, poder asesorar verdaderamente sobre la mejor opción real para su paciente”.

 DM.- Este año Salugraft celebra 10 años. ¿Cómo ha evolucionado la compañía desde sus inicios hasta la actualidad?

Juan de Dios Briones (J.D.B.).- Salugraft Dental es un proyecto que se gesta a finales de 2012 e inicia su actividad a principios de 2013, con la finalidad de poner en manos del odontólogo español un catálogo de soluciones regenerativas diferenciado y más completo que las opciones limitadas que ofrecía el mercado en aquel momento. A lo largo de estos 10 años, el compromiso de Salugraft Dental con el I+D y con la mejor formación continua ha sido y es uno de los principales pilares, invirtiendo en el desarrollo de nuevos productos y en la creación de evidencia científica y clínica, de la mano de los mejores expertos referentes en regeneración de España y tambien a nivel mundial.

Desde hace 10 años, seguimos poniendo nuestro máximo empeño en asesorar a nuestros clientes sobre los biomateriales que ofrecemos y poder ayudarles a conseguir el mejor resultado posible para sus pacientes. Asimismo, hemos luchado por distinguirnos por el aval en el método científico en todos los productos que ofrecemos, y esto se traduce en ‘garantía de por vida’, y creo no equivocarme si digo que los clínicos españoles nos reconocen como una empresa líder en su campo y que marca la diferencia siendo los valores de empresa la honestidad, el conocimiento, el servicio y la profesionalidad.

industria dental 66 eldentistamoderno enero/febrero 2023 ENTREVISTA
Juan de Dios Briones.

 DM.- Salugraft ofrece al profesional soluciones innovadoras. ¿Cuáles son las bases del compromiso de la compañía con la I+D? ¿Cómo trabajan para desarrollar biomateriales basados en la evidencia científica?

J.D.B.- Nuestra pasión y principal motor de existencia es la innovación. Estamos en constante búsqueda de biomateriales futuros, ya sean en vías de desarrollo por empresas internacionales con las que colaboramos o directamente aquí en España, con el apoyo de universidades y clínicos, quienes nos trasmiten sus necesidades para mejorar el tratamiento de ciertas patologías. Un ejemplo claro es la periimplantis, donde gracias a la experiencia y evidencia clínica existentes de casi 20 años en Ortopedia en el tratamiento de infecciones óseas de prótesis de cadera y rodilla con injertos alogénicos impregandos de antibiótico, hemos desarrollado SaluMYCIN. Se trata del primer biomaterial en el mercado odontológico que ayuda a tratar eficientemente las infecciones óseas, especialmente en pacientes con patologías complejas como, por ejemplo, la diabetes. Después de más de 8 años desde su lanzamiento y con diversas publicaciones en el sector dental, se han realizado ya cerca de 5.000 casos, formando parte del protocolo de muchos doctores españoles y también internacionales.

Otro ejemplo sería Cortiflex Thin, que fue desarrollado en colaboración con el Banco de Tejidos y Células DIZG de Alemania y un especialista en regeneración español muy reconocido. Se trata de la primera “membrana” alogénica desmineralizada que, además de su efecto barrera, induce a una pronta proliferación y diferenciación de las células madre en osteoblastos, consiguiendo una rápida formación de hueso nuevo, gracias a las proteínas morfogenéticas que se liberan.

También hemos introducido en el mercado español la primera malla PTFEd no reabsorbible con refuerzo de titanio RPM, de la empresa Osteogenics Biomedical (US) y OraGRAFT Prime del banco de tejidos LifeNet Health (US) que son las primeras fibras de cortical desmineralizadas moldeables, que se adaptan al defecto sin migrar como los injertos óseos particulados, hecho que elimina la necesidad de utilizar una membrana de colágeno, en la mayoría de los casos.

 DM.- La formación continua es uno de los pilares de la empresa. En este sentido, ¿cuál es el objetivo de “La Voz del Experto”?

J.D.B.- La Voz del Experto en regeneración es una idea que nació durante la pandemia. Con ‘la Voz del Experto’ buscábamos innovar también en la forma de llegar y seguir apoyando la formación de los especialistas y creo que lo hemos conseguido porque contamos con miles de visitas y usuarios. Nuestro objetivo era poder ofrecer una formación simple y directa a través de testimonios mediante vídeos cortos, en los que cerca de 40 reconocidos expertos en regeneración españoles nos presentaban sus casos clínicos, consejos, trucos, manejo de complicaciones, etc., permitiendo que los especialistas pudiesen recibir estas cápsulas de formación de manera ágil y rápida, sin necesidad de tener que conectarse a un webinar de una hora de duración a una hora concreta.

siguiendo la evolución de la Odontología 67 eldentistamoderno enero/febrero 2023
Con ‘la Voz del Experto’ buscábamos innovar también en la forma de llegar y seguir apoyando la formación de los especialistas ”
Salugraft ha desarrollado innovadores aloinjertos para el sector dental como SaluBONE o SaluMYCIN.

A día de hoy, La Voz del Experto cuenta con una biblioteca de más de 120 vídeos a los que, mediante su registro en la plataforma, cualquier odontólogo puede acceder de forma gratuita en el lugar y hora que más le convenga y volver a verlos las veces que precise.

La Voz del Experto seguirá creciendo en número de colaboraciones con nuevos expertos españoles e internacionales, así como con nuevos vídeos clínicos con productos nuevos, para así mantenerse como una herramienta formativa constantemente actualizada y de referencia para la odontología.

 DM.- Desde Salugraft ofrecen soluciones regenerativas 360º. ¿Hacia dónde se dirige el futuro de la regeneración?

J.D.B.- Los continuos avances tecnológicos, como las terapias celulares regenerativas y el desarrollo de nuevos biomateriales como la impresión 3D, permitirán crear andamios reabsorbibles e idóneos para la proliferación de células óseas, que acelerarán y facilitarán la regeneración de forma óptima, consiguiendo una madurez ósea y un volumen estables en el tiempo.

Está claro que el objetivo a medio-largo plazo es conseguir regenerar tejidos óseos y/o tisulares mediante células del propio paciente y ya se están

realizando ensayos clínicos en esta línea. En el corto plazo, lo fundamental para el futuro de la regeneración y mejora de los resultados clínicos es la continua formación y actualización de todos los odontólogos del país. Es necesario que se conozcan y se entiendan el origen, las propiedades y los beneficios de cada uno de los tipos de biomateriales del mercado. Hay que conocer la evidencia clínica para poder planificar de manera correcta todos los tratamientos y poder predecir los resultados clínicos de forma consistente, siempre teniendo como máxima prioridad la salud del paciente. En algunas ocasiones existe la sensación de que la formación básica en este campo no es suficiente y los profesionales se limitan a utilizar lo que les es más conveniente económicamente o algún colega de profesión ha recomendado, sin saber si éstos son los productos que su paciente necesita realmente. Cada paciente tienes sus especificidades que juegan un peso fundamental en la toma de decisiones.

 DM.- La compañía también ofrece a los profesionales aloinjertos. Actualmente, ¿qué ofrecen desde Salugraft en este ámbito y cómo ayudan a los profesionales a obtener la autorización de uso de aloinjertos para su clínica dental?

J.D.B.- Salugraft ha liderado desde su inicio la introducción y formación en el uso de aloinjertos en la práctica odontológica en nuestro país.

España es el país con el mayor índice de donación de órganos y tejidos (hueso, piel, córneas, tejido amniótico, etc.) del mundo por población. Desde hace más de 30 años diversas especialidades médi-

68 eldentistamoderno enero/febrero 2023 ENTREVISTA
industria dental
En la imagen, parte del equipo de Salugraft Dental.
Desde hace 10 años, seguimos poniendo nuestro máximo empeño en asesorar a nuestros clientes sobre los biomateriales que ofrecemos y poder ayudarles a conseguir el mejor resultado posible para sus pacientes ”

cas como Ortopedia, Oftalmología o Cirugía Plástica Reconstructiva, entre otras, utilizan los aloinjertos como su primera alternativa al tejido autólogo. En Europa, el uso de xenoinjertos es prácticamente nulo en estas disciplinas, pero en Odontología es justamente, al contrario. Los motivos, históricamente, son la falta de disponibilidad de aloinjertos de configuración específica para dental y a una legislación que hacía prácticamente imposible su uso. A día de hoy, aquí se tiene que solicitar una autorización específica para el uso de aloinjertos en la clínica dental y desde Salugraft Dental, apoyamos a los clínicos en la obtención de dicha autorización. En cambio, en Estados Unidos el uso de aloinjertos en tratamientos odontológicos con regeneración es superior al 80%, gracias a su amplia disponibilidad y a la facilidad administrativa para su utilización. Esto ha generado una gran experiencia clínica y científica publicadas, con más de 35 años de seguimiento sobre su eficacia y seguridad. Este último punto cobra una gran importancia y aporta la máxima tranquilidad a los dentistas y sus pacientes, que conocerán así los estrictos controles de selección y procesamiento de estos injertos procedentes de donantes, contando con una trazabilidad absoluta y otorgando una garantía total sobre su seguridad.

Gracias a mucho esfuerzo y apoyo por parte de todos, España es el país europeo que lidera el uso de aloinjertos en procedimientos dentales, generando un interés cada vez más creciente por parte de todos los especialistas. Cada día vemos más ponencias en los diferentes congresos de sociedades científicas donde se habla y se presentan casos con aloinjertos, cosa que no sucedía anteriormente.

 DM.- ¿Cuáles son las barreras a las que se enfrentan a la hora de investigar y desarrollar nuevas soluciones y tratamientos regenerativos?

J.D.B.- Una de las grandes amenazas para continuar con la investigación y desarrollo de nuevas soluciones y tratamientos regenerativos son las políticas comerciales practicadas por las grandes multinacionales de implantes, quienes se han visto con la necesidad de incorporar biomateriales en su oferta para poder conseguir acuerdos con las clínicas.

Esta política comercial se basa en ofrecer enormes descuentos o incluso obsequiar los biomateriales para vender sus implantes, cosa que genera la infravaloración absoluta del biomaterial, convirtién-

dolo en un simple commodity, cuando empeñan una función biológica fundamental en la salud del paciente. Normalmente sus equipos comerciales no reciben apenas formación en regeneración y biomateriales, y tienen poco conocimiento para asesorar a los clínicos sobre cuál es el producto idóneo para su paciente.

A empresas como Salugraft, que apuestan fuertemente por el I+D, formación de calidad para sus delegados comerciales y para los clínicos, que apoyan económicamente estudios clínicos y publicaciones científicas en universidades y grupos de investigación, este tipo de prácticas nos hacen mucho daño, ya que estas políticas desleales obligan a frenar o disminuir de forma cuantiosa este tipo de inversiones y apoyo. En Salugraft pensamos que nuestro altísimo nivel de asesoramiento, servicio y formación nos ha diferenciado de las grandes empresas a lo largo de estos 10 años de existencia, y es algo que nos gustaría poder mantener, ya que forma parte de nuestro ADN.

siguiendo la evolución de la Odontología 69 eldentistamoderno enero/febrero 2023
” “
Estamos en constante búsqueda de biomateriales futuros, ya sean en vías de desarrollo por empresas internacionales con las que colaboramos o directamente aquí en España, con el apoyo de universidades y clínicos, quienes nos trasmiten sus necesidades para mejorar el tratamiento de ciertas patologías
En el corto plazo, lo fundamental para el futuro de la regeneración y mejora de los resultados clínicos es la continua formación y actualización de todos los odontólogos del país

industria dental

 DM.- Salugraft Dental ofrece al profesional dental soluciones y tecnologías innovadoras en el campo de la regeneración ósea y tisular. ¿Qué abanico de opciones ofrecen para adaptarse a sus necesidades?

J.D.B.- Cada paciente requiere un tratamiento específico y el clínico debería contar con diversas opciones para decidir cuál es la mejor solución para su paciente. Nuestra filosofía es la de ofrecer al clínico el abanico de soluciones regenerativas más

amplio y completo, poniendo a su alcance todas las opciones de los mejores biomateriales y, de esta manera, poder asesorar verdaderamente sobre la mejor opción real para su paciente y no sólo ofrecer una única posibilidad, que es el producto que tienen otras empresas en su catálogo.

 DM.- ¿Qué punto en común tienen las empresas que Salugraft Dental representa en el mercado ibérico?

J.D.B.- A lo largo de estos 10 años, hemos conseguido poner bajo el mismo techo a las empresas lideres y referentes a nivel mundial en regeneración, que garantizan total seguridad, máxima calidad, eficacia clínica e innovación continua.

Estas empresas líderes han encontrado en Salugraft al partner idóneo ya que compartimos el mismo ADN y se han apoyado en nuestro liderazgo y know how para desarrollar evidencia clínica en España para el resto del mundo.

Algunas de estas empresas líderes que representamos en exclusiva en España y Portugal son Osteogenics Biomedical (US), fabricante de la marca Cytoplast; LifeNet Health (US), el banco de tejidos más grande y con mayor número de patentes en procesamiento de tejido humano (más de 40); DIZG (Alemania), el banco de tejidos referente de Europa; Novabone (US); Sigmagraft (US), fabricante de InterOss; y Swann-Morton (UK), entre otros.

 DM.- Además de su experiencia en regeneración, ¿en qué nuevos proyectos están trabajando actualmente?

J.D.B.- Gracias a nuestra larga experiencia, nuestros productos y el fuerte conocimiento en regeneración de todo el equipo de Salugraft, hemos dado un paso hacia adelante y nos estamos expandiendo a otras especialidades médicas como Ortopedia, Cirugía Plástica Reconstructiva, Dermatología y Oftalmología.

Esta evolución nos lleva a la necesidad este 2023, año en que celebramos nuestro 10º aniversario a modificar el nombre a Salugraft Medical y, de esta forma, dejar todo a punto para seguir adelante 10 años más.

Muchas gracias a todos los profesionales de la odontología por su confianza, seguiremos esforzándonos para continuar brindando el mejor servicio y para ayudar a los especialistas a que sus pacientes recuperen su salud. 

70 eldentistamoderno enero/febrero 2023 ENTREVISTA
España es el país europeo que lidera el uso de aloinjertos en procedimientos dentales, generando un interés cada vez más creciente por parte de todos los especialistas
” La filosofía de Salugraft es la de ofrecer al clínico el abanico de soluciones regenerativas más amplio y completo.

pensando en el futuro

TECNOLOGÍA PARA DAR FORMA A LA ODONTOLOGÍA DEL MAÑANA

Dentaverse es una plataforma que está diseñada para reunir las últimas tecnologías en odontología para mejorar la atención al paciente, la educación y la comunicación. Así lo apunta Martin Ravets, fundador y director ejecutivo de esta plataforma, un mundo virtual que reúne simulaciones de realidad virtual, algoritmos de inteligencia artificial, blockchain y tecnologías de metaverso para brindar un enfoque holístico de la atención al paciente dental. En este artículo, profundizaremos en cómo estas tecnologías están cambiando la odontología y su potencial para revolucionar el campo.

La odontología es un campo en constante evolución, y con la llegada de nuevas tecnologías como la Inteligencia Artificial (AI) y la Realidad Virtual (VR), está entrando en una nueva era de posibilidades. La introducción de estas tecnologías no solo está cambiando la forma en que diagnosticamos y tratamos a los pacientes, sino también la forma en que

los educamos y nos comunicamos con ellos. El futuro de la odontología está aquí y se llama Dentaverse.

La odontología, más poderosa que nunca

En los últimos años, se han desarrollado numerosas innovaciones tecnológicas que se han ido introduciendo en el ámbito de la Odontología. El

72 eldentistamoderno enero/febrero 2023 OPINIÓN

camino a seguir es aprovechar estas herramientas y aprender a adaptarlas a las prácticas actuales. AI, VR y otras herramientas nos ayudan a ahorrar tiempo y romper las fronteras físicas del espacio y el tiempo. Ahora lo más importante es crear conciencia sobre lo que está disponible y educar a los profesionales sobre cómo pueden usar la tecnología a su favor. La AI se puede utilizar para tareas como el análisis de imágenes para el diagnóstico, la planificación del tratamiento y la orientación quirúrgica. Mientras que la VR se puede utilizar para consultas virtuales, educación del paciente y capacitación para procedimientos dentales.

Además, tanto la AI como la VR tienen el potencial de mejorar la eficiencia y la precisión de ciertos procedimientos dentales, así como de brindar nuevas formas de interactuar con los pacientes. Estamos hablando de oportunidades en las que un dentista de Turquía puede mantener una conversación fácil y envolvente con un especialista de Japón desde la comodidad de su gabinete dental. Personalmente creo que las oportunidades son inmensas y están limitadas por nuestra imaginación. Veo la AI y la VR

como extensiones de las capacidades existentes, lo que hace que la odontología sea más poderosa que nunca.

Innovación tecnológica para impulsar el progreso La odontología es parte de mi ADN. Vengo de una familia involucrada en la odontología desde hace más de 75 años. Mi experiencia de estudiar en el extranjero, mi experiencia en el sector dental y mi espíritu emprendedor se combinaron en una

Nació en 1985 en una familia dedicada a la odontología desde hace más de 75 años. Obtuvo su Licenciatura en Administración de Empresas y Economía en la ESEI International Business School de Barcelona entre 2004 y 2007. Durante un semestre de intercambio en Shanghai, creó la plataforma PlayInShanghai.com para encontrar e interactuar con amantes del tenis y otros amantes. Su espíritu emprendedor se manifestó desde muy joven. En 2008, Martín obtuvo su Master en Gestión Estratégica y Emprendimiento en laUniversidad de Lincoln, Reino Unido. Después de sus estudios, regresó a Bélgica. A partir de 2016 se hizo cargo del negocio familiar de Centrale Medico Dentaire, uniendo su espíritu emprendedor y su conexión familiar con el sector dental. Es cofundador de Dentalia Together y de la startup dental Mawzi, y uno de los miembros generales más jóvenes de la Junta Directiva de ADDE (Asociación de Distribuidores Dentales de Europa). En marzo de 2022, Martin y su socio comercial Jan-Stanley Brown fundaron Dentaverse, una empresa líder en innovación dental que cierra la brecha entre las tecnologías web3 y el campo de la odontología. Dentaverse tiene como objetivo revolucionar las prácticas dentales y proporcionar un hogar para intercambio de conocimientos y experiencias entre profesionales de la odontología, estudiantes y líderes de la industria, todo en un esfuerzo por construir un futuro mejor para la odontología.

siguiendo la evolución de la Odontología 73 eldentistamoderno enero/febrero 2023
Dr. Martin Ravets
Ahora lo más importante es crear conciencia sobre lo que está disponible y educar a los profesionales sobre cómo pueden usar la tecnología a su favor ”
El director de operaciones de Dentaverse, Floris Keyzer, guía a la embajadora argentina de Dentaverse, la Dra. María Orellana, a través de una experiencia inmersiva en la plataforma 3D de Dentaverse.

pensando en el futuro

forma única que dio origen a Dentaverse. En marzo de 2022, me reuní con Jan Stanley Brown, actual cofundador y CTO de Dentaverse, y desde la primera conversación comprendimos el inmenso potencial de introducir las tecnologías web3 en la odontología.

Si bien la industria dental tradicionalmente se ha resistido al cambio, Dentaverse tiene como objetivo demostrar los importantes beneficios que la innovación tecnológica puede aportar a este campo. Al

proporcionar una plataforma virtual que conecta a profesionales de la odontología, estudiantes y líderes de la industria, Dentaverse tiene como objetivo fomentar la colaboración y la cooperación para impulsar el progreso y mejorar la atención al paciente en la industria dental. Es un lugar donde los profesionales de la odontología, los estudiantes y las industrias por igual pueden conectarse y unir fuerzas para construir un futuro más brillante para la industria dental, ofreciéndoles herramientas y espacios para integrar las nuevas tecnologías en su práctica diaria. Un lugar para conectarse, crecer, divertirse y dar forma a la odontología del mañana con personas de ideas afines. Aprovechamos Web3, blockchain y metaverso para conectar los puntos dentro de la industria dental global y ayudar a transformar la atención dental, caso por caso.

Mediante el uso de tecnologías de vanguardia como AI y VR, Dentaverse espera crear un futuro más brillante para el campo y allanar el camino para mayores avances en los años venideros. Actualmente, ya pueden realizar conferencias y debates en espacios 3D inmersivos. Ser parte de Dentaverse significa ser un miembro comprometido de profesionales dentales con ideas afines y orientados al futuro.

Dentaverse integra la tecnología web3, blockchain y metaverso. Nuestros NFT (tokens no fungibles) le otorgan acceso de por vida a la comunidad Dentaverse; estos NFT se basan en la blockchain de Ethereum. Hoy, ya brindamos una experiencia 3D en https://virtual.dentaverse.io usando Spatial, donde ofrecemos un espacio compartido para que los profesionales se conecten y aprendan. Es parte de nuestro viaje ‘Ver para creer’.

Actualmente, estamos construyendo el metaverso de la odontología, Dentaverse World, en Unreal Engine, que estará presente durante AEEDC en una conferencia especial que tendrá lugar el 6 de febrero en el Museo del Futuro.

El potencial de la interacción virtual

El valor agregado de la interacción virtual para la odontología radica en resolver los problemas de aislamiento de la información, las barreras de tiempo y espacio físico y los costos.

Dentaverse reúne recursos materiales y humanos bajo un mismo techo, creando un entorno globalmente interconectado donde las personas pueden intercambiar sus conocimientos, experiencias

74 eldentistamoderno enero/febrero 2023 OPINIÓN
Dentaverse tiene como objetivo fomentar la colaboración y la cooperación para impulsar el progreso y mejorar la atención al paciente en la industria dental ”

y contactos. Con VR, independientemente de su ubicación geográfica y zona horaria, puede interactuar con su paciente, colegas y audiencia de una manera inmersiva.

Obviamente, todo esto da como resultado un gran ahorro de costos tanto para los organizadores como para los asistentes al evento. La profesión dental debería continuar explorando el potencial de la interacción virtual y adaptarla a su campo de práctica específico.

El desarrollo de la AI y VR en Europa y España

La formación dental es una de esas actividades específicas que se deben realizar en la vida real. Sin embargo, el valor de usar VR y el espacio Dentaverse es la capacidad de grabar esas sesiones de capacitación y brindarles a los estudiantes y profesionales de la odontología la oportunidad de practicar y volver a mirar en su propio tiempo. Un ejemplo real de esto son las unidades de simulación Saratoga, nuestro partner, que se pueden ver en el espacio de inicio de Dentaverse.

Nuestro objetivo a largo plazo es tener sesiones de capacitación acreditadas en Dentaverse, donde los miembros pueden obtener un comprobante de asistencia y NFT para certificar la finalización exitosa del curso. El objetivo general de Dentaverse es permitir que los profesionales de la odontología, los estudiantes y las industrias utilicen nuestras herramientas y servicios al máximo potencial y construyan un entorno de aprendizaje y crecimiento más integrado. El desarrollo de tecnologías de AI y VR en el sector dental en Europa aún se encuentra en sus prime-

siguiendo la evolución de la Odontología 75 eldentistamoderno enero/febrero 2023
Dentaverse reúne recursos materiales y humanos bajo un mismo techo, creando un entorno globalmente interconectado donde las personas pueden intercambiar sus conocimientos, experiencias y contactos ”

pensando en el futuro

ras etapas, pero está creciendo rápidamente. Las tecnologías basadas en AI se utilizan en odontología con fines de diagnóstico y planificación del tratamiento. Las tecnologías de VR, por otro lado, se están utilizando para crear simulaciones de realidad virtual de procedimientos dentales, lo que puede ayudar a capacitar a dentistas y estudiantes de odontología, así como a ayudar a los pacientes a comprender mejor sus opciones de tratamiento.

Actualmente, el desarrollo de las tecnologías de AI y VR en el sector dental en Europa está impulsado por la necesidad de mejorar los resultados de los pacientes, mejorar la eficiencia de los procedimientos dentales y reducir los costos.

La misión actual de Dentaverse es incorporar a tantos profesionales dentales globales como sea posible y comenzar por educarlos y presentarles estas nuevas oportunidades. Cada cambio importante en la industria comienza con la concienciación y preparación de los líderes actuales de la industria para el futuro.

Por su parte, el desarrollo de las tecnologías de AI y VR en el sector dental en España se recibe con una mezcla de entusiasmo y cautela. España es conocida por ser líder en el campo de las nuevas tecnologías, especialmente en términos de innovación e investigación. Por lo tanto, es probable que el sector dental español esté atento a los desarrollos de las tecnologías de AI y VR y esté buscando activamente formas de integrarlas en sus prácticas.

En definitiva, el desarrollo de la AI y la VR en el sector dental se percibe como una oportunidad prometedora para mejorar la calidad de los servicios y Dentaverse se esforzará por aumentar su impacto y atraer a los profesionales dentales españoles a esta misión para construir un mejor futuro dental.

76 eldentistamoderno enero/febrero 2023 OPINIÓN
El desarrollo de las tecnologías de AI y VR en el sector dental en Europa está impulsado por la necesidad de mejorar los resultados de los pacientes, mejorar la eficiencia de los procedimientos dentales y reducir los costos

Kinépolis (Madrid) 10 y 11 de febrero de 2023

(RESERVA ESTAS FECHAS)

DR. AVIJIT BANERJEE Conservadora

DR. JORGE LUIS CASTILLO

Odontopediatría

DR. STÉFEN KOUBI Estética

PROGRAMA 3600

Un Congreso para todos

> Odontólogos > Estudiantes > Higienistas

> Auxiliares > Protésicos > Comerciales

DR. CESARE LUZI

Ortodoncia

DR. RONALD JUNG

Implantoprótesis

DR. FILIPPO

SANTARCANGELO

Endodoncia

PROGRAMA CASOS CLÍNICOS

NOVEDAD ESTUDIO DE CASOS MULTIDISCIPLINARES

laterales

siguiendo la evolución de la Odontología 77 eldentistamoderno enero/febrero 2023 @dentistas.coem @dentistasCOEM
gingival
dimensión vertical
> Manejo de la sonrisa
> Rehabilitación/aumento
> Terapia pulpar vital > Orto–perio > Traumatología > Agenesia de
CERTIFICADO coem
EN: congresocoem.com
INSCRÍBETE YA

LAS REDES SOCIALES Y NUEVAS VÍAS DE COMUNICACIÓN CON EL PACIENTE EN LA ODONTOLOGÍA

Teniendo en cuenta el impacto que tienen las redes sociales en nuestra vida diaria, tanto a nivel personal como empresarial, el Dr. Simón Pardiñas relata en este artículo la importancia de crear un modelo de comunicación de la clínica dental, con estilo propio y cuidando el contenido, y cuyo destinatario final sea el público general y el paciente, a quien debemos llegar de una manera atractiva, visual y sin perder el rigor científico.

Contacto: s.pardinas@clinicapardinas.com

redes
78 eldentistamoderno enero/febrero 2023 GESTIÓN, COMUNICACIÓN Y MARKETING
sociales

Con el creciente desarrollo de las nuevas tecnologías y estrategias de comunicación en todos los sectores, es importante dedicar parte de nuestros esfuerzos y tiempo como dentistas en conseguir crear una comunicación eficiente y vínculo con el paciente. Actualmente, las redes sociales, blogs, canales de vídeo, etc., están desplazando como vías de comunicación con el paciente a medios tradicionales como la prensa y radio.

Es por ello por lo que debemos de conocer las herramientas y estrategias que nos permitan llegar a ese público, de una manera atractiva, visual y sin perder el rigor científico.

Las redes sociales se han convertido en una parte importante de nuestras vidas, no solo a nivel personal, sino también a nivel empresarial. Es el escaparate donde nos mostramos al resto del mundo. Por eso crear nuestra propia marca, cuidar la imagen y el contenido es fundamental para alcanzar el éxito. En 2021, la cantidad de personas que usaron las redes sociales superó los 4.000 millones en todo el mundo, y el usuario promedio accedió a 6 plataformas de redes sociales diferentes mensualmente.

Esto representa el 60% de la población mundial. Además, los usuarios pasan alrededor de 2 horas al día en las redes sociales (ver tabla 1).

Esto pone en evidencia el gran impacto que tienen las redes sociales en nuestras vidas.

Principales redes sociales

Entre las principales RRSS existentes nos encontramos:

• Facebook: sigue siendo la red social más utilizada en el mundo. Aquí podemos diferenciar entre tener una cuenta personal y una de empresa. La cuenta comercial es una gran herramienta para mostrar la información de la clínica, contacto, valoraciones positivas de los pacientes..., y también tiene una herramienta para publicitar servicios creando campañas de pago.

• WhatsApp: es una gran herramienta para estar en contacto con los pacientes. Podemos gestionar citas, enviar instrucciones postoperatorias, recordatorios y recetas, entre otros.

• Instagram: es otra red social, como WhatsApp, vinculada a Facebook. Permite compartir fotos, vídeos y reels con una duración de hasta 90 segundos. Al igual que con Facebook puedes tener dos cuentas, una cuenta comercial y un perfil personal, por lo que puedes publicar diferentes temas en cada perfil. En el perfil de tu empresa, intenta no mostrar imágenes o vídeos explícitos de tratamientos dentales.

• TikTok: la característica principal de TikTok es el hecho de que se centra en vídeos musicales y de humor. Predomina el público joven, por lo que puede que no sea la plataforma adecuada para todos los públicos, aunque podemos aprovecharlo y dirigir los contenidos de educación dental a los adolescentes.

¡ Brasil - 3 horas 42 minutos.

¡ USA - 2 horas 7 minutos.

¡ España - 1 hora 53 minutos.

¡ UK - 1 hora 49 minutos.

¡ Australia - 1 hora 45 minutos.

¡ Corea del Sur - 1 horas 8 minutos.

79 eldentistamoderno enero/febrero 2023
Dr. Simón Pardiñas López Odontólogo, DDS, MS Especialista en Periodoncia, Implantología y Cirugía Oral (NYU). Máster en Implantología Oral y Maxilofacial (Universidad de Toulouse). Director médico de la Clínica Pardiñas. Creador de Dentalk.tv. Miembro del Grupo de investigación en Terapia Celular y Medicina Regenerativa, Universidade da Coruña, INIBIC. Presidente del YCC de la Academy of Osseointegration. CEO y Fundador de DentalPlay.
siguiendo la evolución de la Odontología
RED SOCIAL USUARIOS ACTIVOS (en m.) Facebook 2.910 YouTube 2.562 WhatsApp 2.000 Instagram 1.478 Wechat 1.263 TikTok 1.000 Snapchat 557 Telegram 550 Pinterest 444 Twitter 436
Tabla 1. Redes sociales más populares a nivel mundial a enero de 2022, ordenados por número de usuarios activos mensuales. Fuente: Statista 2022.
En el perfil de Instragram de tu empresa, intenta no mostrar imágenes o vídeos explícitos de tratamientos dentales

redes sociales

• Twitter: permite publicar información inmediata en formato de corto. Es una red perfectamente estructurada para compartir experiencias en el momento en que suceden.

• Linkedin: es una red enfocada a los profesionales. Podemos mostrar toda nuestra formación y capacidad profesional. Nos puede ser muy útil para mantener el contacto profesional con otros compañeros, para buscar trabajo activamente y para buscar empleados si tenemos una cuenta de empresa.

• YouTube: sigue siendo la red social principal en cuanto a vídeo. Es la red social en la que más impacto tenemos.

Con 70 millones de visitas nos convertimos en el año 2020 en el canal de odontología más visto del mundo en YouTube. Actualmente nuestro canal Dentalk cuenta con más de un millón de suscriptores y más de 350 millones de visualizaciones. Esto genera un impacto visual indirecto muy grande para nuestra clínica, ya que cerca de medio millón de personas al día ven nuestros vídeos y ven el nombre de nuestra clínica.

Por ello, los vídeos del canal, además de ser una fuente de información para los pacientes, son una forma de captación de nuevos pacientes.

Los pilares básicos de las RRSS

• Contenido. En primer lugar, debemos tener un buen contenido. Debemos pensar qué le gustaría saber a un paciente y qué información suele buscar en Internet, además de utilizar un lenguaje fácil de entender.

¡ Vídeos 3D: contamos una amplia librería de animaciones en 3D que cubren todas las especialidades. Son una gran herramienta para mostrar a los pacientes de una forma sencilla y clara los tratamientos que van a recibir.

¿Por qué usar vídeos educativos?

- Potencia la explicación y comprensión de los diferentes tratamientos.

- Aumenta la aceptación de nuevos casos y tratamientos.

- Capacitar al personal de la clínica.

- Mejora y moderniza la imagen de la clínica.

80 eldentistamoderno enero/febrero 2023 GESTIÓN, COMUNICACIÓN Y MARKETING

siguiendo la evolución de la Odontología

¡ Vídeos de duración media: por lo general el público es más propenso a visualizar un vídeo de 10-15 minutos que a leer un artículo que lleve 10-15 minutos. Céntrate en una temática bucodental concreta. Por ejemplo, uno de los vídeos más vistos, con 10 millones de visitas, es sobre la relación del sexo oral y la salud bucal. Es importante cuidar la imagen, sonido y recursos en este tipo de vídeos.

¡ “Shorts”: en este tipo de vídeos se habla brevemente sobre un caso o tema específico, en menos de 60 segundos.

¡ Procedimientos reales: para ello disponemos de un microscopio en la clínica que nos permite registrar los procedimientos. Este tipo de vídeos requieren también de un tiempo para la edición posterior.

• Cámara: hoy en día existen muchas cámaras con gran calidad de imagen, incluso muchos móviles ya tienen muy buenas cámaras.

• Iluminación: una parte clave tanto del vídeo como de la fotografía es la luz. Encuentra un lugar con buena iluminación constante.

• Sonido: asegúrate de que la grabación de tus vídeos se realice en un entorno tranquilo y sin ruido de fondo. Para ello puedes elegir entre una amplia variedad de micrófonos.

¿Es necesario tener un community manager?

Si quieres guionizar y grabar vídeos, redactar artículos para la página web, crear entradas en las diferentes RRSS, interactuar con los usuarios de las RRSS, etc., todo ello requiere un tiempo que, en muchos casos, no disponemos por nuestra apretada agenda clínica.

Por tanto, dependiendo de hasta dónde quieras llegar puedes necesitar delegar ciertas tareas en otros profesionales, como especialistas en edición de vídeo, community managers, etc.

Pero aún así hay que tener paciencia y dedicar parte de tu tiempo cada día a realizar y/o supervisar estas tareas.

No es recomendable que una persona sin formación médica o dental publique o escriba textos de tratamientos o procedimientos dentales sin supervisarlos, ya que pueden contener errores en conceptos científicos.

La página web

Las RRSS fueron una evolución de las páginas web, algo que sigue siendo sumamente importante en cualquier negocio.

Tener un sitio web bien estructurado es muy importante para que nuestros pacientes nos encuentren. Junto con el boca a boca, la página web es una de las principales fuentes de captación de nuevos pacientes y, por tanto, debemos de estar presentes en los principales buscadores. Aquí entra en juego el famoso SEO:

SEO (Search Engine Optimization): son una serie de estrategias para optimizar texto e imágenes dentro de una página web, blog o red social para mejorar su posicionamiento en los motores de búsqueda.

Sé original con el contenido, si no los buscadores podrían penalizarte.

81 eldentistamoderno enero/febrero 2023
Los vídeos del canal de YouTube Dentalk, además de ser una fuente de información para los pacientes, son una forma de captación de nuevos pacientes ”
No es recomendable que una persona sin formación médica o dental publique o escriba textos de tratamientos o procedimientos dentales sin supervisarlos, ya que pueden contener errores en conceptos científicos

redes sociales

Apps dentales

Con el creciente número de nuevos procedimientos y técnicas dentales, la comunicación con el paciente es una parte clave del flujo de trabajo durante todo el tratamiento, desde la primera visita hasta que finaliza el tratamiento.

En la actualidad, la era digital está cada vez más presente en las consultas odontológicas, tanto para los procedimientos dentales y la gestión clínica a nivel interno como para el marketing y la comunicación a nivel externo.

El objetivo de las aplicaciones (o apps) es brindar a los dentistas una herramienta para cubrir nuestras necesidades sobre la comunicación con nuestros pacientes con respecto a los procedimientos dentales de una manera visual simple y amigable, considerando las barreras del idioma que los profesionales pueden tener que enfrentar hoy en día en sociedades cada vez más multiculturales.

Una de ellas es Dentool, disponible para iOS, con la que el dentista puede disponer de multitud de animaciones en 3D sobre distintos tratamientos para explicar en directo al paciente su condición y tratamiento dental. Esta aplicación permite capturar escenas de vídeo, dibujar, importar fotografías y vídeos reales, radiografías, usar distintos iconos visuales para planificar un plan de tratamiento, realizar simulaciones de diseño de sonrisa y, además, es posible enviárselo por email al paciente.

El objetivo final es crear un modelo de comunicación, con estilo propio y cuyo destinatario final es el público general y el paciente, a ser posible, en todas nuestras comunicaciones. 

82 eldentistamoderno enero/febrero 2023 GESTIÓN, COMUNICACIÓN Y MARKETING
El objetivo final es crear un modelo de comunicación, con estilo propio y cuyo destinatario final es el público general y el paciente, a ser posible, en todas nuestras comunicaciones

EL CONSEJO GENERAL DE DENTISTAS ENTREGA SUS PREMIOS ANUALES

El Consejo General de Dentistas, presidido por el Dr. Óscar Castro Reino, celebró el 16 de diciembre una nueva edición de sus Premios, donde se entregaron los galardones y condecoraciones a aquellas personalidades e instituciones que han fomentado la visibilidad y la mejora de la profesión odontológica. Al acto asistieron representantes de la Organización Colegial de Dentistas, Sociedades Científicas, personalidades políticas y del ámbito sanitario, y medios de comunicación.

Los premiados

En esta ocasión, el Premio “Santa Apolonia”, máximo galardón del Consejo General de Dentistas, ha sido otorgado al Dr. Juan Manuel Seoane Lestón. Es doctor en Medicina y Cirugía por la Universidad Complutense de Madrid y médico estomatólogo por la misma universidad. Catedrático de Cirugía Oral en la Universidad de Santiago de Compostela, ha sido codirector de las campañas nacionales de prevención de cáncer oral desde 2007 y es académico de la Academia Nacional de Ciencias Odontológicas.

El Dr. Fernando Autrán Mateu ha recibido el Premio “Dentista del Año”. Autrán es licenciado en Medicina y Cirugía por la Universidad de Barcelona, especialista en Estomatología por la misma universidad, y diplomado en

Odontología Estética. Actualmente, es director de Autrán Dental, director del centro de formación para postgraduados Autrán Dental Academy y director del postgrado académico de Rehabilitación Estética Mínimamente Invasiva en la Academia de Ciencias Médicas de Cataluña y Baleares (SCOE), y en la Universidad Católica San Antonio de Murcia (UCAM).

El presidente de la Región de Murcia, Fernando López Miras, ha sido galardonado con el Premio “Juan José Suárez Gimeno”, de Fomento de la Salud Oral. Desde que preside dicha comunidad autónoma, López Miras ha incorporado más prestaciones de salud bucodental para la población infantil. Además, ha impulsado la creación de la primera Academia de Ciencias Odontológicas, lo que supone un gran avance en la divulgación, la imagen y el reconocimiento social para el ámbito científico de la Odontología.

La web Cuídate Plus ha recibido el Premio “José Navarro Cáceres”, de información sanitaria odontoestomatológica, por sus contenidos divulgativos y de prevención en materia de salud bucodental. Recogieron el galardón Miguel González Corral, director del Área de Salud de Unidad Editorial, y Mar Sevilla, redactora jefe de Cuídate Plus.

El Premio a Trabajos de Cooperación al Desarrollo en Materia de Atención Bucodental de Organizaciones No Gubernamentales ha sido para Smile is a foundation, por su proyecto “Smile and see. Zim-

actualidad NOTICIAS 84 eldentistamoderno enero/febrero 2023
En la imagen, el Comité Ejecutivo del Consejo General de Dentistas y los premiados. FOTO: Consejo General de Dentistas

babwe”. Sergio Morante Mudarra, patrono y cooperante de la fundación, junto con Natalia Ortiz López, cooperante, fueron los encargados de recogerlo.

Por otra parte, el trabajo “Guía de práctica clínica para la prevención y manejo de las lesiones de mancha blanca asociadas al tratamiento de ortodoncia”, realizado por Laura Ceballos García (autora) y Yolanda Martínez Beneyto (coautora), ha sido galardonado con el Premio “Mejor artículo RCOE 2021”.

Las distinciones de “Miembro de honor” han sido para Ihsane Ben Yahya, presidenta de la Federación Dental Internacional (FDI), y para Juan Antonio Callejas Cano, diputado del Partido Popular. Los “Consejeros de honor” de este año han sido Jaime Sánchez Calderón, Guillermo Roser Puigserver y Lorenzo de Torres Magriñá. Por último, los “Dictantes de honor” nombrados por el Consejo han sido Leopoldo Forner, Ramón Gómez, Carmen Llena, Armando Menéndez y Carlos

El presidente del Consejo General de Dentistas clausuró el acto con un discurso en el que, tras felicitar a todos los premiados, instó al Gobierno a que “se asesore, que invierta en prevención, que promueva la contratación de más dentistas y que de verdad se preocupe por la salud oral de los ciudadanos”. Del mismo modo, lamentó los vaivenes a los que los partidos políticos someten a la sociedad, poniendo de ejemplo la PNL sobre publicidad sanitaria presentada recientemente por Unidas Podemos, señalando que “votaron en contra de la que presentó el PP hace unos meses y ahora proponen exactamente lo mismo a lo que se opusieron”.

En este sentido, insistió en que “la salud no puede convertirse en un mercado donde la víctima sea el paciente y el foco esté puesto en los profesionales, porque es injusto”, añadiendo que “no voy a parar hasta que consigamos lo que es justo: salvaguardar la buena imagen de nuestros profesionales y proteger a nuestros pacientes”, destacó el Dr. Castro. 

85
dentistamoderno enero/febrero 2023
el
Sanz. En la imagen (de izq. a dcha.): Óscar Castro, Juan Manuel Seoane -que recibió el Premio “Santa Apolonia”- y José M. Suárez Quintanilla. FOTO: Consejo General de Dentistas El presidente del Consejo General de Dentistas, el Dr. Óscar Castro Reino, junto al Dr. Fernando Autrán Mateu, que recibió el Premio “Dentista del Año”. FOTO: Consejo General de Dentistas El presidente del Consejo General de Dentistas clausuró el acto con un discurso. FOTO: Consejo General de Dentistas

LA MASCARILLA CONTINUARÁ SIENDO OBLIGATORIA EN CENTROS SANITARIOS

Laministra de Sanidad, Carolina Darias, ha anunciado que el 7 de febrero elevará al Consejo de Ministros “la propuesta de eliminar la obligatoriedad de llevar mascarilla en los transportes públicos”, atendiendo a la actual situación de estabilidad epidemiológica del COVID-19 y los informes de expertos y sociedades científicas.

El uso obligatorio de la mascarilla se mantendrá en los establecimientos y servicios sanitarios, y en los centros sociosanitarios para sus trabajadores y visitantes.

Según declaraciones de la ministra de Sanidad, el fin de la mascarilla en el transporte público se aprobará en el Consejo de Ministros del próximo martes 7 de febrero.

Previamente, Carolina Darias convocará el Consejo Interterritorial del Sistema Nacional de Salud (CISNS) para coordinar la medida con las comunidades y ciudades autónomas, teniendo en cuenta el informe de la Ponencia de Alertas y Planes de Preparación y Respuesta dependiente de la Comisión de Salud Pública.

La ministra ha recordado que todas las decisiones adoptadas en las distintas fases de la pandemia se han consensuado en el CISNS y ha agradecido el esfuerzo y trabajo de todas las administraciones, los expertos y sociedades científicas, los profesionales sanitarios y la ciudadanía. 

LA FDE Y LA SENC FIRMAN UN CONVENIO PARA DESARROLLAR LA CAMPAÑA SALUD ORAL Y NUTRICIÓN

LaFundación Dental Española (FDE), presidida por el Dr. Óscar Castro Reino, y la Sociedad Española de Nutrición Comunitaria (SENC), presidida por el Dr. Javier Aranceta Bartrina, han firmado un convenio de colaboración para trabajar en actividades que promuevan un mejor conocimiento de la relación que existe entre la alimentación y la salud bucodental. Éste se llevará a la práctica mediante la suscripción de acuerdos específicos. En este sentido, ambas entidades han rubricado ya el primero de estos acuerdos para el desarrollo de la Campaña Salud Oral y Nutrición, que tendrá lugar en octubre-noviembre de 2023. En dicha

iniciativa participarán el Consejo General de Dentistas, la FDE y la SENC con el objetivo de sensibilizar a los dentistas y a la población general sobre la relevancia que tiene una dieta sana para la salud oral y general.

La campaña se presentará en una rueda de prensa que se celebrará en otoño, donde se mostrarán los diversos materiales educativos, la página web y una original y novedosa pirámide de los alimentos adaptada a la salud bucodental, que se van a crear específicamente para esta ocasión.

En palabras de Óscar Castro, la firma de este convenio con la SENC es algo “muy positivo” para la sociedad y para los profesionales que se dedican a la Odontología y a la Nutrición. “Las entidades sanitarias debemos crear sinergias entre nosotras y potenciar actividades divulgativas, formativas y de investigación que conciencien a la población sobre la importancia de llevar un estilo de vida saludable y así evitar múltiples enfermedades”, ha declarado. Por su parte, el Dr. Javier Aranceta ha explicado que el gran dinamismo de la Odontología y su posición privilegiada en el primer nivel de atención a los ciudadanos hace que estos profesionales puedan desarrollar acciones de alto valor en la promoción de la salud y en la prevención de la enfermedad, no solamente en lo que se refiere a la salud bucodental sino en consejos alimentarios para implementar hábitos saludables en la población que a buen seguro repercutirán también en su nivel de salud y bienestar.

actualidad NOTICIAS 86 eldentistamoderno enero/febrero 2023
123RF
El Dr. Óscar Castro Reino, presidente de la FDE, y el Dr. Javier Aranceta Bartrina, presidente de la SENC. FOTO: FDE

MÁS DE 6.100 PROFESIONALES ASISTEN A BDS2023

PARA CONOCER LAS FUTURAS TENDENCIAS EN INTELIGENCIA

ARTIFICIAL APLICADAS A LA ODONTOLOGÍA

usan actualmente en odontología. Además, el futuro tiene que ser predecible, aprovechando la gran cantidad de datos a nuestra disposición para realizar mejores predicciones y mejorar la prevención. Y el futuro tiene que ser “augmentado”, gracias a tecnologías como la Realidad Virtual, el metaverso y también la Realidad Augmentada, que permitirá mostrar las radiografías a los pacientes con gafas 3D. “Y todo esto será posible gracias a la Inteligencia Artificial”, ha añadido Elbaz.

Por su parte, Botifoll ha ido un paso más allá y ha compartido la posibilidad que en un futuro “pudiésemos insertar sensores en los dientes para que den información continua y, con ello, poder realizar una consulta online con el dentista”. Para Botifoll, “el diagnóstico en remoto es muy importante y hoy en día ya hay tecnologías que permiten mejor eficacia en el diagnóstico remoto. Y esto es importante sobre todo en casos de falta de especialistas en algunos territorios”.

BDS – Barcelona Dental Show 2023 cerró sus puertas el pasado 28 de enero reuniendo a 6.173 profesionales de la salud bucodental que han puesto sobre la mesa la necesidad de incorporar las nuevas tecnologías y la digitalización en la práctica odontológica. En palabras de Leo Bernd, director del evento, “el objetivo de BDS2023 es acercar las últimas soluciones tecnológicas, materiales y nuevas tendencias a odontólogos, ortodoncistas, protésicos, higienistas, estomatólogos, y endodoncistas, entre otros profesionales de la salud bucodental, para que puedan incorporarlas en su día a día”. El evento ha generado un impacto económico de 7 millones de euros en la ciudad de Barcelona.

La IA, protagonista del Congreso Nacional de Odontología Avanzada Este año, la Inteligencia Artificial ha cobrado especial importancia en el Congreso Nacional de Odontología Avanzada. Y es que, según Jordi Botifoll, vicepresidente de NetApp, la Inteligencia Artificial ya se está aplicando en muchos sectores industriales, pero en la odontología todavía tiene una baja implementación, por lo que el camino por recorrer es amplio. Gracias a la IA, podemos interpretar con mayor exactitud una imagen radiológica, podemos realizar un mejor diagnóstico, y además ayuda a una mejor prevención. De hecho, según Botifoll, en el ámbito de la salud el uso de la IA está reduciendo los errores de detección del cáncer de mama en un 85%.

En el sector de la odontología, según Lionel Elbaz, doctor y fundador de Allisone Technologies, la IA ya se está aplicando en soluciones de computer vision y machine learning, pero “el gran reto es que los dentistas sean capaces de entrenar el algoritmo de Inteligencia Artificial”.

Y ¿cómo se plantea el futuro de la odontología? ¿Cuáles son las tendencias para los próximos años? Para Elbaz, el futuro tiene que ser integrado, logrando la interoperabilidad de todos los softwares y tecnologías que se

Durante tres días, casi 200 expertos han compartido en el Congreso Nacional de Odontología Avanzada casos clínicos de éxito gracias a la aplicación de nuevas tecnologías, modelos de negocio innovadores, nuevas herramientas para comunicarse con los equipos y nuestros pacientes y soluciones tecnológicas que mejoran la atención del paciente, los diagnósticos y la aplicación de tratamientos.

Asimismo, más de 150 firmas expositoras, entre las que destacan Dentsply Sirona, DESS Dental Smart Solutions, Odontogrup, IPD, Nobel Biocare, BEGO, BiteRight, Diagnova Medica, Allison AI, IOSFIX, Fresdental, SprintRay, Colgate, Sanhigia, Kavo, Oral-B, Orascoptic, Osteògenos, Ravagnani Dental, Zirkonzahn, Vittrea o Zarc, entre muchas otras, han mostrado sus últimas soluciones en el ámbito de la aparatología dental, instrumental, consumibles, equipamiento, higiene bucal e implantología, así como soluciones digitales para la gestión y comunicación de las clínicas dentales. BDS – Barcelona Dental Show volverá del 10 al 12 de abril de 2025 para seguir acercando la última tecnología, innovación, materiales y nuevas tendencias que contribuirán a definir la odontología de los próximos años. 

87 eldentistamoderno enero/febrero 2023

LAS NUEVAS SINERGIAS ENTRE LA PRÓTESIS Y LA PERIODONCIA, PROTAGONISTAS EN EL SIMPOSIO SEPES-SEPA CLÍNICA

y SEPA, como sociedad invitada, reunirán los próximos días 24 y 25 de febrero en el auditorio del WTC de Barcelona a más de una veintena expertos que aportarán soluciones a los retos diarios de los tratamientos perio-prótesis en el simposio SEPES-SEPA Clínica que, bajo el título “Perio-Prótesis, una sinergia esencial para la Odontología”, ofrecerá una actualización en torno a las sinergias entre la prótesis y la periodoncia y su implicación en la excelencia de los tratamientos restauradores.

SEPES

Como indican los doctores Guillermo Pradíes y José Nart, presidentes de SEPES y SEPA, respectivamente, “este es un evento en el que los asistentes podrán actualizarse en todo lo que tiene que ver con la relación interdisciplinar de la periodoncia y la prótesis

tanto en pacientes periodontalmente sanos como incluso en pacientes afectados en estado IV”. Entre los participantes de estas jornadas se encuentran Antonio Bujaldón, Irene García, Antonio Meaños, Sergio García-Bellosta y Raquel García; Juan Flores y Carla Vidal y Álvaro y Gonzalo Blasi, e Iván Contreras; Paula Matesanz y Miguel Roig, y Ana Torres y Fernando Luengo; Ignacio Sanz y Berta García-Mur; María Rioboo y Vicente Berbís; Paul Levi, Homa Zadeh y Ricardo Mitrani; y los presidentes de SEPES y SEPA, Guillermo Pradíes y José Nart, quienes expondrán en la segunda jornada del simposio su visión sobre la construcción de una comunidad de conocimiento interdisciplinar y digital 

EL 49% DE LA POBLACIÓN ESPAÑOLA DESCONOCE LA PERIODONTITIS

Prácticamente la mitad de la población española, y también de otros países de referencia en Europa, no saben bien qué es la periodontitis y, por lo tanto, cabe esperar que tengan importantes dificultades para identificar sus síntomas. Este desconocimiento se asocia estrechamente con el nivel de estudios y, aunque en menor medida, con la renta, según se ha observado en una macroencuesta llevada a cabo por Key-Stone entre la población europea.

Key-Stone, que acumula una sólida trayectoria en este ámbito, con la realización de tres grandes encuestas desarrolladas en colaboración con SIdP (Sociedad Italiana de Periodoncia), en las que participaron más de 6.000 personas, “centra esta nueva investigación en el punto de vista de la población acerca del tema de la periodoncia comparando los resultados en varios países”, destaca Roberto Rosso, consultor de Marketing, fundador y presidente de Key-Stone. Según Rosso, “inicialmente llama la atención la heterogeneidad de los resultados en la percepción del estado de la salud bucodental, según los diferentes países y tramos socioeconómicos investigados”.

En la investigación se estudiaron aspectos relacionados con los hábitos de higiene, como el cepillado de dientes, la frecuencia de visitas al dentista y de limpiezas bucodentales, el hábito de fumar, etc. Pero, además, el conocimiento de la periodontitis, la presencia de síntomas que podrían ser signos de problemas periodontales y la conducta consecuente, la situación bucal con respecto a posibles edentulismo, etc. La primera sorpresa fue que el 47% de la población adulta europea encuestada no conocía la periodontitis. En España se halló un porcentaje ligeramente superior (49%), pero la diferencia no es esta-

El desconocimiento sobre esta frecuente enfermedad de las encías, que padecen al menos 8 de cada 10 adultos españoles, es más frecuente en poblaciones con rentas más bajas y menos estudios. FUENTE: Key-Stone

dísticamente significativa. Así pues, la primera conclusión es que “aproximadamente la mitad de la población adulta de Europa aún no sabe qué es la periodontitis”, subraya Roberto Rosso. Se trata de una cuestión muy importante de salud bucodental, que puede tener implicaciones significativas que no deben subestimarse respecto a la reacción de la población ante la presencia de síntomas. “La cifra es preocupante, sobre todo si se tiene en cuenta la alta incidencia de esta enfermedad ya que, según la literatura internacional, cerca un 40% de la población occidental adulta presenta síntomas clínicos y más del 10% manifiesta formas graves”, señala el Dr. José Nart, presidente de la Sociedad Española de Periodoncia (SEPA). 

actualidad NOTICIAS 88 eldentistamoderno enero/febrero 2023

ENJUAGARSE DURANTE UN MINUTO CON CPC

AL 0,07% REDUCE LA CANTIDAD DE VIRUS INFECCIOSOS EN SALIVA COMO EL SARS-COV-2

Un ensayo clínico liderado por un grupo multidisciplinar compuesto por higienistas, enfermeras, farmacéuticas, microbiólogas y médicas de atención primaria del Servicio Aragonés de Salud, del Instituto de Investigación Sanitaria Aragón y de Dentaid Research Center se ha publicado recientemente en la revista científica Journal of Clinical Periodontology.

El estudio, que lleva por título “Ensayo clínico aleatorizado para valorar el impacto de la intervención oral con Cloruro de Cetilpiridinio (CPC) para disminuir la carga viral del SARS-CoV-2”, tiene como objetivo conocer la eficacia de un colutorio de higiene bucal con CPC al 0,07% en la disminución de la carga viral infecciosa de SARS-CoV-2, en pacientes COVID-19. Un único enjuagado con el colutorio portador de CPC causó un incremento estadísticamente significativo de virus degradado en la boca de los pacientes. “Este resultado apunta a que el uso de este colutorio contribuye a la reducción de la carga viral del SARS-CoV-2 en saliva”, indica Rosa Tarragó Gil, higienista bucodental e investigadora principal del estudio.

La cavidad bucal es una de las principales vías de entrada del SARSCoV-2 y representa un lugar clave para la replicación y el aumento de la carga viral antes de la colonización de las vías aéreas inferiores. Los aerosoles liberados desde la boca ayudan a la propagación del virus.

Metodología del estudio

En este trabajo se ha evaluado la eficacia de los enjuagues bucales de CPC al 0,07% en la reducción de la carga viral en la saliva de 80 pacientes con COVID-19. Los investigadores tomaron en el centro de salud una muestra de saliva a los pacientes tras haberles realizado la prueba que confirmaba su positividad. Luego, los pacientes eran asignados de forma aleatoria a un grupo que debía enjuagarse con colutorio con CPC o a un grupo que se enjuagaba con un placebo, durante 1 minuto. Tras 2 horas, se recogía otra muestra de saliva, en su domicilio. La carga total de SARS-CoV-2 en saliva se determinó por RT-qPCR en el Hospital Clínico Universitario Lozano Blesa y con una prueba de ELISA, en el centro de investigación IrsiCaixa, se cuantificó la proteína nucleocápside (N) del SARS-CoV-2. A las 2 h después de un solo enjuague, la concentración de proteína N en la saliva fue significativamente mayor en el grupo de pacientes que recibió el CPC respecto al grupo de pacientes que recibieron el colutorio placebo, lo que indica un aumento en virus degradado.

El estudio se ha realizado en los centros de salud Seminario, Sagasta y San José Norte, colaborando los Sectores II y III de Zaragoza. Este hallazgo demuestra la capacidad de investigación de Atención Primaria y sirve para impulsar las líneas de investigación en salud bucodental, alineadas con la estrategia de 2022 de la Organización Mundial de la Salud (OMS). El grupo también desarrolla en la actualidad una línea internacional de trabajo en promoción de la salud a través de la reducción del consumo de azúcar.

Este estudio abre un campo para futuras investigaciones en la evaluación de la prevención en la transmisión del SARS-CoV-2. 

89 eldentistamoderno enero/febrero 2023
En la imagen, el equipo responsable del ensayo clínico que demuestra que hacer enjuagues bucales durante 60 segundos con colutorios que contienen Cloruro de Cetilpiridinio (CPC) al 0,07% reduce la cantidad de virus infecciosos en saliva como el SARS-CoV-2. FOTO: Dentaid Research

EL DR. JAIME A. GIL, NUEVO ACADÉMICO NUMERARIO DE LA REAL ACADEMIA DE MEDICINA DEL PAÍS VASCO

ElDr. Jaime A. Gil ha sido nombrado nuevo Académico numerario de la Real Academia de Medicina del País Vasco / Euskal Herriko Medikuntzaren Errege Akademia, en una ceremonia que tuvo lugar en el Salón de Grados de la Universidad de Deusto. El título de su discurso fue: “Estética Dental. Actualización de las tratamientos más innovadores”.

El acto fue presidido por el Prof. Javier Aranceta Bartrina junto con el Prof. Antonio Bascones Martínez y las Profs. Natalia Ojeda del Pozo y Carmen Pérez Rodrigo.

Acudieron al acto los Profesores: José Mª Sánchez, Ana Sánchez y Francisco Santaolalla, así como los Profesores Juan Carlos Martin-Urreta, Agustin Martínez Ibargüen, Enrique Hilario y Juan Gondra. Asimismo, estuvieron presentes la Ex-Diputada de Cultura de Bizkaia Josune Ariztondo y las Dras/es. Margarita López-Areal, Ainara Espinosa, Félix de Carlos y Alfonso Arellano.

Al acontecimiento se sumaron los Notarios: Juan Ignacio Gomeza y Ramón Múgica; el Abogado del Estado Adolfo Ruigómez, la Ex-Fiscal General de Bizkaia Ana Barrilero y su esposo Jorge Grases. También estuvieron presentes el Abogado Eduardo Sotomayor y su esposa la Letrada Ana Basilio. Asimismo, asistieron el Arquitecto José Mª Gon-

zález-Pinto, el Ingeniero Fco. Javier Montero, así como Cristina Navares, Mª Ángeles Izaguirre, Camino Martin y Arantxa Arregui.

A la celebración también asistió el equipo de colaboradores de la Clínica Dental Albia con Elizabeth Barbero, Diana del Corro, Claudia Castaño, Andrea Asúa y Patricia Nuñez. 

NOBEL BIOCARE PREMIA AL DR. PAULO MALO POR 25 AÑOS

DEL CONCEPTO DE TRATAMIENTO ALL-ON-4

El Dr. Paulo Malo lideró el desarrollo de este protocolo de tratamiento a principios de los años 90, con el apoyo del difunto Dr. Bo Rangert de Nobel Biocare. En 1998 trató al primer paciente documentado en el primer estudio científico, con la versión final del concepto que se lanzó comercialmente.

El concepto de tratamiento All-on-4® está ampliamente reconocido como uno de los desarrollos más importantes en la odontología de implantes. Y, según añaden desde Nobel Biocare, “trajo una forma revolucionaria de proporcionar a los pacientes una solución rentable y sin injertos para prótesis fijas de arcada completa el día de la cirugía, en solo cuatro implantes”.

ElDr. Paulo Malo ha sido reconocido con el Quarter Century Award de Nobel Biocare, en honor al vigésimo quinto aniversario del revolucionario concepto de tratamiento All-on-4®. En una reunión en el Dental Experience Center de Nobel Biocare en Zúrich (Suiza), el presidente de la empresa, Patrik Eriksson, fue el encargado de entregar el premio.

Patrik Eriksson, presidente de Nobel Biocare, ha apuntado que “estoy encantado de premiar al Dr. Malo en reconocimiento a este hito. Si bien muchas empresas han tratado de copiar el concepto de tratamiento All-on-4 ® , el Dr. Malo y Nobel Biocare se han centrado en superar los límites para mejorar los productos y desarrollar aún más el flujo de trabajo de principio a fin”. Y concluyó que “juntos, seguimos liderando el futuro del concepto de tratamiento All-on-4 ® ”. 

actualidad NOTICIAS 90 eldentistamoderno enero/febrero 2023
En la imagen (de izq. a dcha.): Prof. Enrique Hilario, Prof. Javier Aranceta, Prof. Jaime A. Gil, Prof. Antonio Bascones y Prof. Francisco Santaolalla. Patrik Eriksson (izq.), presidente de Nobel Biocare, entregó el premio al Dr. Paulo Malo (dcha.). FOTO: Nobel Biocare

DESIGUALDADES EN LA SALUD INFANTIL EN INGLATERRA

El mal estado de la salud bucal de los niños pone de relieve las crecientes desigualdades en la salud infantil en toda Inglaterra. Así lo ha apuntado la presidenta del Royal College of Paediatrics and Child Health (Real Colegio de Pediatría y Salud Infantil de Inglaterra), Camilla Kingdom, señalando que “el personal de salud está viendo que las desigualdades en salud se amplían a medida que la crisis del coste de vida afecta la salud de los niños”, “cuando los hogares luchan por alimentar a sus familias, los cepillos de dientes y la pasta de dientes pueden convertirse en un ‘artículo de lujo’”. “Es una evidencia simple pero muy visible y alarmante de cómo la crisis del coste de vida está afectando la salud de los niños”, añade la presidenta del Royal College of Paediatrics and Child Health. La caries dental es la razón más común de ingresos hospitalarios en Inglaterra entre los niños de cinco a nueve años.

En 2020/2021, los costes estimados de los ingresos hospitalarios de 0 a 19 años para todas las extracciones dentales fueron de 21,8 millones de libras esterlinas. Para extracciones debidas a caries, fue de 13,8 millones de libras esterlinas. 

LA FDI LANZA UN KIT PARA CUIDAR DE LA SALUD MENTAL DE LOS DENTISTAS

Los dentistas y otros miembros del equipo dental se pueden enfrentar a altos niveles de estrés en su trabajo diario que exceden sus capacidades para hacer frente, lo que en última instancia afecta su trabajo y bienestar. Apoyar a los miembros del equipo dental en tales circunstancias es esencial para mantener una fuerza laboral saludable y garantizar que los pacientes reciban la mejor atención posible. Para ayudar a las instituciones a ayudar a los dentistas y equipos dentales que puedan necesitar apoyo, la FDI ha lanzado un conjunto de herramientas digitales para promover la salud mental y el bienestar en el lugar de trabajo dental.

El kit de herramientas de salud mental y bienestar en el lugar de trabajo dental tiene como objetivo proporcionar a las Asociaciones Dentales Nacionales (NDA) la información y las herramientas adecuadas para brindar apoyo a los dentistas y equipos dentales dentro de sus países. Los recursos del conjunto de herramientas también ayudarán a aumentar la conciencia mundial y eliminar el estigma que rodea a la salud mental en la odontología 

TALENTUA, ASESORAMIENTO TECNOLÓGICO PARA EL SECTOR DENTAL Y MÉDICO

Talentua nace con la clara vocación de dar soporte en la transformación 4.0 de empresas del sector sanitario y pymes con un estilo y estrategia marcada por una visión estratégica holística centrada en tecnología, personas y valor al cliente.

Juan M. Molina, profesional del sector tecnología y salud, con más de 35 años de experiencia como Directivo de diferentes multinacionales como Henry Schein y durante 6 años presidente de la Industria Dental en FENIN, fundó Talentua Empowering Business a principios del 2022. Talentua ofrece acompañamiento a los clientes en la toma de decisiones de compra tecnológica y su integración en el hospital, clínica o laboratorio.

En palabras de Juan M. Molina, “estamos en un momento disruptivo, VUCA, que la COVID-19 se encargó de acelerar. Hoy el uso de la tecnología y la IA es imprescindible en todos los procesos y esto nos obliga a pensar y hacer de forma diferente. El paciente está cada vez más informado y por ello nosotros debemos adelantarnos a sus inquietudes”. Desde Talentua ayudan a sus clientes a optimizar su tiempo y a tomar mejores decisiones en la inversión tecnológica y de comunicación con el paciente, facilitando una visión estratégica y una mejora de procesos 360º, ESTRATEGIA-TECNOLOGÍA-EQUIPO-COMUNICACIÓN-PACIENTE.

“En estos momentos no todo vale, hay que tener claro antes de comprar, durante el proceso de compra y los servicios asociados tras la compra como son la instalación, la puesta en marcha y la formación básica de inicio, así como la puesta en marcha de los sistemas y la formación

continuada para subir el nivel de experiencia”, explica Juan M. Molina. Por otro lado, “el uso de IA nos ayuda a ser más eficientes y eficaces; los tratamientos predictivos ayudan a mejorar nuestra comunicación con el cliente/ paciente, lo que redunda en una excelente experiencia para nuestro cliente. La tecnología informática es vital para que todo funcione correctamente”, añade el fundador de Talentua.

“Por eso, los cambios y las soluciones deben estar basadas en una alineación de talento interno, personas y tecnología para conseguir la ‘excelencia’ en el trato al paciente y en el trabajo de nuestros equipos”, asegura Juan M. Molina.

El método de transformación basado en la experiencia del equipo de Talentua les ha permitido desarrollar 6 Segmentos de la transformación, apoyados en el modelo EFQM.

Talentua ofrece asesoramiento tecnológico al sector dental y médico para que la tecnología y el uso de IA sirva de apoyo para mejorar procesos internos que ayuden a mejorar la relación y la calidad asistencial al paciente. 

91 eldentistamoderno enero/febrero 2023
Juan M. Molina, CEO de Talentua.

JORGE HUERTAS, NUEVO PRESIDENTE DE FENIN

Jorge Huertas, hasta ahora vicepresidente de la Federación Española de Empresas de Tecnología Sanitaria (Fenin), asume la presidencia de la Federación, después de que María Vila comunicara el pasado 25 de noviembre que dejaba la Dirección General de Medtronic en España y, en consecuencia, su renuncia como presidenta de Fenin.

Desde 2019, Huertas es director general de Oximesa Nippon Gases. Licenciado en Ingeniería Industrial y con un MBA de la IESE Business School, cuenta con una dilatada experiencia en puestos nacionales e internacionales dentro del sector.

En esta nueva etapa, acompañarán a Jorge Huertas como vicepresidentes de Fenin, Dionisio Martínez de Velasco, director general de Dräger, y Lourdes López, directora general de Becton Dickinson en España. 

ORAL-TECH 2023 APLAZA SU CELEBRACIÓN

IFEMA MADRID, Brand Comunicación y Fenin han decidido aplazar la celebración de ORAL-TECH 2023, II Forum Internacional de Expodental, prevista para los días 21 y 22 del mes de abril, “al no darse las circunstancias óptimas que reúnan una amplia representación empresarial y el éxito de la convocatoria”.

Una decisión propuesta por los representantes del sector dental, que aconseja un margen de tiempo que permita un entorno de celebración más favorable para este Forum, que tuvo su nacimiento en plena pandemia para cubrir las necesidades comerciales del sector dental en alternancia con la celebración de su gran cita internacional, EXPODENTAL.

A la espera de este mejor contexto, IFEMA MADRID, Brand Comunicación y Fenin están trabajando en definir fechas alternativas para el nuevo proyecto, si bien, en estos momentos el foco está en el lanzamiento del gran evento de la industria dental, EXPODENTAL 2024, que se celebrará del 14 al 16 de marzo del próximo año en el Recinto Ferial, ofreciendo, como en cada una de sus ediciones, una plataforma internacional de alto nivel de representatividad y gran dinamismo, al servicio de la industria dental.

Con 329 expositores, cerca de 23.000 m2 de superficie de exposición y 27.000 visitantes en 2022, EXPODENTAL 2024 será la cita ineludible para todos los profesionales de la odontología que quieran estar al día de las últimas novedades de las tecnologías sanitarias que utilizan en su práctica asistencial. 

Salugraft Dental cumple 10 años en el mercado, en el sector de la regeneración ósea y tisular.

El proyecto Salugraft nació a inicios de 2013 con la misión de ofrecer al profesional dental las más innovadoras soluciones y tecnologías. Es el distribuidor exclusivo y oficial, además de referente y confiable, de primeras marcas internacionales de gran prestigio en el sector, como Osteogenics Biomedical, LifeNet Health, NovaBone, META, DIZG, Sigmagraft, Swann Morton y Atramat. Todos ellos, con sus largas trayectorias y experiencia en el sector dental, se congratulan de este décimo aniversario y contribuyen a que Salugraft pueda ofrecer productos únicos diferenciales e innovadores, todos de altísima calidad y utilizados y recomendados por los principales líderes de opinión a nivel nacional y mundial. 

actualidad NOTICIAS 92 eldentistamoderno enero/febrero 2023
SALUGRAFT DENTAL CUMPLE 10 AÑOS
PERSONAS
ESTÁN HUYENDO DE UCRANIA TE NECESITAN EMERGENCIA EN UCRANIA DONA AHORA EN Bizum – Código: 01151 ayudaucrania.com ES86 2100 2262 1802 0040 3932
LAS
QUE

Zirkonzahn presenta un nuevo escáner intraoral para el flujo de trabajo digital y un set con destornilladores y herramientas para su uso en boca y modelo

Detection Eye

El nuevo escáner intraoral Detection Eye de Zirkonzahn se caracteriza por su extrema precisión en la toma de impresiones, su bajo peso (sólo 240 g) y su alta velocidad de escaneo, lo cual permite digitalizar la arcada del paciente en menos de 60 segundos.

El escáner también realiza escaneos realistas en color y en tiempo real con claros límites de preparación, garantizando un proceso más sencillo gracias a la digitalización sin polvo.

Gracias al intuitivo software, el usuario puede escanear con un solo botón o utilizar la función de “Motion Sensing” para emitir órdenes con sólo mover el escáner. Esta tecnología simplifica la manipulación y garantiza una impresión sin riesgo de contaminación cruzada por contacto con el PC. El software de inteligencia artificial identifica y elimina automáticamente los datos

superfluos de los tejidos blandos, para lograr un proceso de exploración rápido y optimizado.

Por último, la opción del uso de dos tipos de puntas diferentes (estándar y pequeña), hace posible que el procedimiento sea más cómodo para el paciente.

El nuevo Universal Screwdriver Set de Zirkonzahn es un set de destornilladores y herramientas adecuado para su uso tanto en la boca del paciente como en el modelo; se ha adaptado de forma óptima al flujo de trabajo de las clínicas y laboratorios dentales y, según el caso, se dispone de varias herramientas que pueden combinarse perfectamente entre sí. El set está compuesto por la llave dinamométrica Torque Ratchet Wrench, el destornillador Zirkonzahn MUA para la fijación y la extracción de los Multi Unit Abutments NON HEX (pilares multiusos) de Zirkonzahn, el Adapter Ratchet Wrench y el Screwdriver Handpiece. El Adapter Ratchet Wrench garantiza un ajuste estable y seguro entre las distintas herramientas. Todos los instrumentos pueden guardarse de forma segura y ordenada en el Instrument Case Universal Screwdriver Set, que también puede personalizarse con un máximo de 25 destornilladores o extractores con conexión en ángulo recto de Zirkonzahn.

Zirkonzahn

www.zirkonzahn.es

MATERIALES, INSTRUMENTAL Y EQUIPO 94 eldentistamoderno enero/febrero 2023
novedades
Universal Screwdriver Set

Planmeca PlanMill® 60 S, la nueva fresadora dental para laboratorios de Planmeca

La fresadora de 5 ejes puede utilizarse para el fresado en húmedo y en seco de discos y bloques, así como de pilares prefabricados de titanio y cromo-cobalto. La fresadora es capaz de procesar en seco y en húmedo distintos materiales, como el dióxido de circonio, la cerámica vítrea, los materiales compuestos, el PMMA y la cera. La unidad produce con precisión una variedad de restauraciones odontológicas, pilares y barras de implantes personalizados, estructuras parciales, férulas y prótesis dentales. La fresadora admite una gran variedad de soportes de material que amplían aún más las posibilidades de aplicación de Planmeca PlanMill 60 S. Con un soporte semiabierto para discos, la fresadora puede utilizarse para producir incluso las restauraciones más exigentes para la zona de los dientes anteriores. El usuario puede cambiar fácil y rápidamente el soporte de fijación en la cámara de fresado, cuando sea necesario.

“Planmeca PlanMill 60 S es una potente fresadora para las diversas necesidades de los laboratorios y técnicos odontológicos, así como de los laboratorios internos. El diseño basado en plataforma de Planmeca PlanMill 60 S permite incorporar nuevas funciones a la fresadora en el futuro mediante actualizaciones de software y fijaciones intercambiables”, comenta Jukka Kanerva, vicepresidente sénior de Planmeca.

Planmeca PlanMill® 60 S es la nueva fresadora dental de alto rendimiento de Planmeca diseñada específicamente para cubrir las necesidades de los laboratorios y los técnicos odontológicos. Planmeca PlanMill 60 S admite una gama aún más amplia de indicaciones que las fresadoras para clínicas, además de ser “una herramienta excelente para los odontólogos que desean producir aplicaciones y restauraciones odontológicas más avanzadas de forma interna”, indican desde la compañía.

La fresadora Planmeca PlanMill 60 S se utiliza junto con un software Planmeca PlanCAM™ de fácil manejo, que calcula las rutas de fresado necesarias para los materiales e indicaciones seleccionados. El software es compatible con archivos STL de arquitectura abierta y garantiza un flujo de trabajo rápido y sencillo en el ajetreado entorno del laboratorio.

Planmeca www.planmeca.com

En los próximos meses Ticare presentará Ticare V2, un restyling de la geometría externa del implante Ticare.

La espira de doble hilo de estos implantes reduce a la mitad el tiempo de inserción, reduciendo así el calentamiento óseo; y un ápice más eficaz que, gracias a un cono más apuntado, aporta estabilidad primaria adicional.

Con este cambio en la geometría externa se consigue aún mejor estabilidad primaria, menor tiempo de inserción y reducir aún más el traumatismo.

Los implantes Ticare V2 aportan la esencia de Ticare, el implante libre de filtración bacteriana, con un diseño mejorado que optimiza el comportamiento del implante a corto plazo.

Ticare

www.ticareimplants.com

95 eldentistamoderno enero/febrero 2023
El nuevo implante Ticare V2 mejora la estabilidad primaria y reduce el tiempo de inserción

DEXIS lanza la nueva gama de exploración intraoral DEXIS™ IS

puede transformar y simplificar de verdad las tareas rutinarias diarias en las consultas odontológicas de todo el mundo.

“Con el lanzamiento de nuestras soluciones intraorales, DEXIS cubre ahora mismo el flujo de trabajo digital en su totalidad. Ahora disponemos de lo que necesitan los dentistas para diseñar un proceso más simple y ágil entorno a su trabajo”, comentó el presidente de la línea de negocio DEXIS IS. “Desde la adquisición de la línea de negocio de escáneres intraorales, DEXIS lleva trabajando para asegurarse de disponer de una de las carteras de productos más potente y amplia del mercado en el sector de las soluciones intraorales de primera calidad. Nos enorgullece fomentar la innovación en el ámbito de los programas informáticos, las plataformas colaborativas y en los sistemas de exploración pensados para ofrecer mayor comodidad del usuario. Además, de cara al futuro, nuestra cartera de productos continuará evolucionando y ofreciendo incluso más oportunidades para mejorar los flujos de trabajo”, añade.

El lanzamiento de la gama DEXIS IS (escáner intraoral), un conjunto completo de soluciones intraorales, marca un hito importante para DEXIS, que ahora ofrece una gama completa de sistemas de diagnóstico odontológico digital que abarca todas las etapas de la exploración. Gracias a la creciente red de software innovadores y escáneres galardonados que trabajan conjuntamente sin complicaciones, DEXIS ahora

La cartera de productos intraorales de DEXIS IS incluye tres niveles de escáneres intraorales: el IS 3600, el IS 3700 y el IS 3800W, así como el nuevo IS Voyager, un conjunto todo en uno de carrito y ordenador.

DEXIS

www.dexis.com

Nueva web de Oral-B para profesionales dentales

Oral-B presenta su nueva web para profesionales dentales, en la que pueden acceder a materiales innovadores para sus pacientes, además de conocer las últimas tendencias del sector dental.

Las tecnologías Oral-B están desarrolladas gracias a la colaboración con profesionales de la odontología y sometidas a una sólida investigación para garantizar una excelente eficacia y seguridad. En oralbprofessional.es encontrará todas sus necesidades de formación profesional en odontología y se podrá unir a webinars en

vivo y a la carta desarrollados para reforzar su educación dental. Regístrese en la nueva web de Oral-B Professional y consiga materiales innovadores para pacientes, muestras gratuitas de productos Oral-B y acceso a webinars de educación continua y noticias del sector.

Oral-B Professional

www.oralbprofessional.es

MATERIALES, INSTRUMENTAL Y EQUIPO 96 eldentistamoderno enero/febrero 2023
novedades
www.eldentistamoderno.com @DentistaModerno DM El Dentista Moderno eldentistamoderno @eldentistamoderno Siguiendo la evolución de la Odontología para el profesional del sector llamado a construir el futuro

Ofertas Especiales

DESDE EL 1 DE FEBRERO HASTA EL 31 DE AGOSTO DE 2023

S-Max M CONTRA-ÁNGULOS DE ACERO INOXIDABLE

2 Contra-Ángulos del mismo modelo

2 Multiplicadores del mismo modelo

MODELO M25

REF. C1027

• Sin Luz

• Velocidad Directa 1:1

• Spray Simple

• Velocidad Máxima: 40.000 min-1

• Para fresas CA (ø2,35)

• 2 AÑOS de Garantía

MODELO M25L

REF. C1024

• Con Luz

• Velocidad Directa 1:1

• Spray Simple

• Velocidad Máxima:

40.000 min-1

• Para fresas CA (ø2,35)

• 2 AÑOS de Garantía

MODELO M95

REF. C1026

• Sin Luz

• Multiplicador 1:5

• Spray Quattro

• Velocidad Máxima:

200.000 min-1

• Para fresas FG (ø1,6)

• 2 AÑOS de Garantía

MODELO M95L

REF. C1023

• Con Luz

• Multiplicador 1:5

• Spray Quattro

• Velocidad Máxima:

200.000 min-1

• Para fresas FG (ø1,6)

• 2 AÑOS de Garantía

819€* 1.802€*

S-Max M

POTENCIA 26W

• Clean Head System (Anti-Retorno)

• Torque: 26W

• Tamaño del Cabezal:

ø12,1 x Al 13,3 mm

• Velocidad: 325.000~430.000 min-1

• Cuerpo de Acero Inoxidable

• Spray de Agua Quattro

• Porta-fresas Push Botton

• Rodamientos de cerámica

• Fácil cambio del cartucho por el propio usuario

• 2 AÑOS de Garantía

819€* 1.808€*

1.019€* 2.394€*

TURBINAS DE ACERO INOXIDABLE CON LUZ

2 Turbinas del mismo modelo

* Los precios no incluyen iva. Ofertas limitadas hasta el 31 de Agosto de 2023 o hasta fin de existencias.

Conexión NSK

MODELO M900L

REF. P1254

619€* 1.358€* 819€* 1.850€*

Conexión KaVo® MULTIflex®

MODELO M900KL

REF. P1258

819€* 2.074€*

KaVo® y MULTIflex LUX® son marcas registradas de Kaltenbach & Voight GmbH & Co, Alemania

NSK Dental Spain S.A. www.nsk-spain.es Módena, 43 · El Soho-Európolis · 28232 Las Rozas de Madrid - tel: +34 91 626 61 28 · fax: +34 91 626 61 32 · e-mail: info@nsk-spain.es

Turn static files into dynamic content formats.

Create a flipbook
Issuu converts static files into: digital portfolios, online yearbooks, online catalogs, digital photo albums and more. Sign up and create your flipbook.