El Dentista Moderno - nº 71

Page 1

www.eldentistamoderno.com

ENTREVISTAS

• Dr. Juan Mesquida, especialista en Implantología Avanzada

• Dr. Mariano del Canto Pingarrón, presidente del Congreso SEGERLEON 2023

IMPLANTOLOGÍA

ODONTOLOGÍA ESTÉTICA

AUTOTRASPLANTE DENTAL

SEPA-DM

ENTREVISTA A LA INDUSTRIA

DENTAL: Sonia Gómara, Managing Director de la Península Ibérica de Ivoclar

ORAL MEDICINE INSIDE by

ENTREVISTA A LA INDUSTRIA

DENTAL: Michael Reichel, Director de Ventas en Europa de Orascoptic

PENSANDO EN EL FUTURO

Siguiendo la evolución de la Odontología para el profesional del sector llamado a construir el futuro Año IX • N úmero 71 • Noviembre/Diciembre 2022 @dentistamoderno @eldentistamoderno @eldentistamoderno @eldentistamoderno
D4.0

¿Cómo elegir la mejor consultora de valoración de clínicas dentales?

Debes tener en cuenta: 1) Su experiencia en el sector dental. 2) La utilización de los métodos de valoración más adecuados. 3) La confianza que genera ser el despacho más importante del sector dental en España.

Delyser Área Dental, la consultora de valoración de clínicas dentales de referencia

DELYSER ABOGADOS C/Doctor Fleming 30, 1ºD 28036 Madrid 91 541 01 47 delyser@delyser.com www.delyser.com ÁREA DEN T A L
Escanea el siguiente código QR o visita

• Tendrás soluciones mucho más sencillas para los casos más complejos.

• Verás los casos de reabsorciones extremas a tu alcance.

• Dispondrás de técnicas que aplican los profesionales que siempre buscan el éxito.

www.bti-biotechnologyinstitute.com

1 eldentistamoderno noviembre/diciembre 2022 BTI Biotechnology Institute Tel: (+34) 945 140 024 | info@bticomercial.com | bti-biotechnologyinstitute.es
REPLANTÉATE LOS TRATAMIENTOS DE LAS ATROFIAS ÓSEAS CON IMPLANTES CORTOS
IMPLANTES CORTOS BTI DESDE 8,5 A 4,5 MM.

sumario

DM eldentistamoderno

Año IX - Número 71 - Noviembre/Diciembre 2022

En portada: Fotos 19 y 20 de la página 32, correspondiente al caso de Odontología Estética, titulado “Carillas digitalmente guiadas. Selección de un caso”

6

EDITORIAL

Que corra el aire

Siguiendo la evolución de la odontología

DIRECTORA

Emiliana Rodríguez Charmes emi.rodriguez@eldentistamoderno.com

SUBDIRECTORA

Beatriz Suárez de la Vega beatriz.suarez@eldentistamoderno.com

REDACCIÓN Y FOTOGRAFÍA

Departamentos propios Versys Ediciones Técnicas

DIRECTOR CIENTÍFICO

Imanol Donnay

COMITÉ CIENTÍFICO

Javier de la Cruz, José Nart, Jesús Daniel Parejo, Juan López Palafox, Miguel Burgueño, Juan Manuel Vadillo, Guillermo Galván, Rafael Martínez de Fuentes, Anna Ramiro, Carlos Repullo, Leticia Rodríguez, Marta Revilla, José María Malfaz, Eva Mª Martínez y Eva López de Castro

DISEÑO Y MAQUETACIÓN

Manuel Beviá

DIRECTORA COMERCIAL ÁREA DE DISTRIBUCIÓN

Mercedes Álvarez mercedes.alvarez@versysediciones.com

DIRECTORA DE CUENTAS DM

Emiliana Rodríguez Charmes emi.rodriguez@eldentistamoderno.com

EJECUTIVA DE CUENTAS DM

Beatriz Montero Fernández de Bobadilla beatriz.montero@eldentistamoderno.com

Por Emi Rodríguez Charmes, Directora de DM Dentista Moderno. 8

14

ENTREVISTA

“Gracias a las nuevas tecnologías, trabajamos más en la planificación para trabajar menos durante la ejecución”

Dr. Juan Mesquida, especialista en Implantología Avanzada

IMPLANTOLOGÍA

Elevación transcrestal con implantes unitarios. Serie de casos

Autor: Dr. Eduardo Anitua. 20

ENTREVISTA

“Estética, digitalización y mínima invasión son el presente/futuro del tratamiento dirigido a nuestros pacientes adultos mayores”

Dr. Mariano del Canto Pingarrón, presidente del Congreso SEGERLEON 2023 28

ODONTOLOGÍA ESTÉTICA

Carillas digitalmente guiadas. Selección de un caso

Autores: Dr. Ricardo Recena, Dra. Patricia Elías Ortiz, Dra. Marta Arjona Vázquez y Dr. Carlos Eduardo Toro Chacón. 36

AUTOTRASPLANTE DENTAL Protocolos de autotrasplante posextracción: ¿inmediatos o diferidos?

SEPA-DM

Autores: Dres. Francesc Abella, Ferrán Ribas, Óscar Mateo y Manuel Cabezas. 66

ACTUALIDAD DEL SECTOR DENTAL 84

NOVEDADES

Equipamiento, instrumental y material protésico, dental y clínico

2 eldentistamoderno noviembre/diciembre 2022

SUMARIO
ENTREVISTAS Dr. Juan Mesquida, especialista en Implantología Avanzada Dr. Mariano del Canto Pingarrón, presidente del Congreso SEGERLEON 2023 IMPLANTOLOGÍA ODONTOLOGÍA ESTÉTICA AUTOTRASPLANTE DENTAL www.eldentistamoderno.com Siguiendo la evolución de la Odontología para el profesional del sector llamado a construir el futuro Año IX • N úmero 71 • Noviembre/Diciembre 2022 @dentistamoderno @eldentistamoderno D4.0 ENTREVISTA A LA INDUSTRIA DENTAL: Sonia Gómara, Managing Director de la Península Ibérica de Ivoclar ORAL MEDICINE INSIDE by ENTREVISTA A LA INDUSTRIA DENTAL: Michael Reichel, Director de Ventas en Europa de Orascoptic PENSANDO EN EL FUTURO SEPA-DM
Tecnología AI Avanzada CBCT para Odontología Digital RECURSOS MÉDICOS T: (+34) 96.342.0478 info@recursosmedicos.com www.recursosmedicos.com 01. Diferencia entre estructuras anatómicas y ruido, más de nición con menor dosis 02. Detecta artefactos de metal y minimiza distorsión 03. Automatic Landmark detecta los puntos y realiza el trazado 2D de cefalometría Llámanos! Tel:96.342.0478 Te invitamos a conocerlo y comparar Dentri FOV 16x14,5 eco-x FOV 16x9 eco-x FOV 12x10

sumario

Impresión: Gama Color Depósito Legal: M-33444-2013 ISSN: 2340-9703 ISSN (internet): 2340-9797

50

Versys Ediciones Técnicas S.L. Invierno, 17 28850 Torrejón de Ardoz (+34) 912 972 000

administracion@versysediciones.com

56

DIRECTOR DE EXPANSIÓN Y DESARROLLO

Copyrigth Versys Ediciones Técnicas S.L. La suscripción a esta publicación autoriza el uso exclusivo y personal de la misma por parte del suscriptor. Cualquier otra reproducción, distribución, comunicación pública o transformación de esta publicación sólo puede ser realizada con la autorización de sus titulares. En particular, la Editorial, a los efectos previstos en el art. 32.1 párrafo 2 del vigente TRLPI, se opone expresamente a que cualquier fragmento de esta obra sea utilizado para la realización de resúmenes de prensa, salvo que cuente con la autorización específica. Diríjase a CEDRO (Centro Español de Derechos Reprográficos) si necesita fotocopiar, escanear, distribuir o poner a disposición de otros usuarios algún fragmento de esta obra, o si quiere utilizarla para elaborar resúmenes de prensa (www.conlicencia.com; 917021970/932720447)

Las opiniones y conceptos vertidos en los artículos firmados lo son exclusivamente de sus autores, sin que la revista los comparta necesariamente.

60

DENTISTA 4.0

ENTREVISTA A LA INDUSTRIA DENTAL

“Acompañamos al profesional en todo su flujo de trabajo”

Sonia Gómara, Managing Director de la Península Ibérica de Ivoclar

ORAL MEDICINE INSIDE

Unidos somos más fuertes

Por Luis Mallo, Presidente Ejecutivo de Knotgroup

ENTREVISTA A LA INDUSTRIA DENTAL

“El día de un clínico dental es variable y así debería ser su lupa”

Michael Reichel, Director de Ventas en Europa de Orascoptic

64

PENSANDO EN EL FUTURO

“Tesoro Imaging nace para canalizar la transferencia de tecnología y patentes del I3M hacia la resonancia magnética aplicada al sector dental”

Alfonso Ríos, CEO de Tesoro Imaging

En portada D4.0: Imagen de la página 56 correspondiente al artículo de Oral Medicine Inside by Knotgroup titulado “Unidos somos más fuertes”.

Fotografía el código QR con el lector de tu smartphone para acceder a El Dentista Moderno

4 eldentistamoderno noviembre/diciembre 2022

SUMARIO
CEO José Manuel Marcos Franco de Sarabia DIRECTORA DE OPERACIONES Esther Crespo
Siguiendo la evolución de la Odontología para el profesional del sector llamado a construir el futuro ENTREVISTA Sonia Gómara, Managing Director de la Península Ibérica de Ivoclar ORAL MEDICINE INSIDE by Unidos somos más fuertes Por Luis Mallo, Presidente Ejecutivo de Knotgroup PENSANDO EN EL FUTURO “Tesoro Imaging nace para canalizar la transferencia de tecnología patentes del I3M hacia la resonancia magnética aplicada al sector dental” Por Alfonso Ríos, CEO de Tesoro Imaging ENTREVISTA Michael Reichel, Director de Ventas en Europa de Orascoptic
José Manuel Marcos de Juanes
5 eldentistamoderno noviembre/diciembre 2022 bredent group Spain SL · Asesoramiento técnico: Isabel Garcia Thierfeldt · T: +34 961 363561 / +34 607 320666 · @: bredentgroup@bredent.es bredent medical GmbH & Co. KG · Weissenhorner Str. 2 · 89250 Senden · Germany · T: +49 7309 872-456 · F: +49 7309 872-444 · www.bredent-medical.com @: info-medical@bredent.com Salvo error y modi caciones Salvo error y modi caciones white SKY TISSUE LINE ALVEO LINE Un ÉXITO clinico y científico actualizado: Una única pieza, Versátil, Fiable Estético. Funcional. Seguro.

QUE CORRA EL AIRE

Nos despedimos de 2022 y comenzamos a mirar el nuevo año 2023 con cierta incertidumbre, con la necesidad de que “corra el aire” y vengan vientos nuevos.

Pero la realidad es que en estos tiempos parece que la ya manida resiliencia se ha acomodado en nuestras vidas y vamos superando obstáculo tras obstáculo. Después de estos años de pandemia, ahora llega la escasez de suministros que afecta a la producción de la industria española. Nos encontramos inmersos en un contexto geopolítico y económico inestable, con la actual situación de guerra, inflación y presión energética.

Este nuevo reto al que nos enfrentamos supone un incremento de costes que, en su mayoría, afectará a las perspectivas de crecimiento de las clínicas dentales y de la industria del sector.

Además, me gustaría añadir que según el último Informe sobre la situación mundial de la salud bucodental publicado recientemente por la OMS, (Organización Mundial de la Salud), casi la mitad de la población mundial (45% o 3,5 mil millones de personas) padecen enfermedades bucodentales y solo un pequeño porcentaje de la población mundial tiene cobertura de servicios esenciales.

En nuestro país, el Ministerio de Sanidad ha puesto en marcha el nuevo Plan de Salud Bucodental, que beneficiará a más de siete millones de personas  y va a permitir, entre otras cosas, homogeneizar las prestaciones de atención bucodental en el territorio nacional. Una iniciativa confirmada personalmente por la ministra Carolina Darias, que fue la encargada de clausurar la Asamblea General Ordinaria de SEPES, celebrada en el marco del exitoso 50+1 Congreso SEPES Gran Canaria, al cual acudieron más de 2.000 profesionales.

La apuesta en salud bucodental es necesaria para mejorar la prevención y la promoción de la salud general en la población. Sobre esa línea están trabajando desde Promosalud, una iniciativa que surge desde la Fundación SEPA con el impulso de la Alianza por la Salud Periodontal y General.

Pero igual de importante es la inversión en ciencia e investigación. En España se reconocen a grandes investigadores por su excelencia científica en Odontología, como se ha vuelto poner de manifiesto con los 13 odontólogos españoles que aparecen en la lista de los científicos más relevantes del mundo, en la nueva edición del Ranking de la Universidad de Stanford. Encabezada por el Dr. Eduardo Anitua, del cual nos satisface publicar un caso de implantología en este número de DM.

Me gustaría terminar esta reflexión mencionando el artículo del Presidente Ejecutivo de KnotGroup, Luis Mallo, que pone en valor una máxima que compartimos: “UNIDOS SOMOS MÁS FUERTES”. Estrategia y marca son los pilares estabilizadores para la clínica dental en momentos de inestabilidad como el que estamos viviendo en la actualidad. Para hacer frente a las adversidades que se puedan producir, propone acciones más colaborativas: clínicas trabajando con otras clínicas, compartiendo proyectos, preocupaciones y aprovechando, conjuntamente, oportunidades.

Por nuestra parte, tenéis todo nuestro apoyo y admiración. Y ahora, más que nunca, seguiremos trabajando con rigor por y para vosotros: Siguiendo la evolución de la odontología y apoyando al profesional del sector llamado a construir el futuro.

¡¡¡Feliz Navidad y Próspero Año 2023!!!

6 eldentistamoderno noviembre/diciembre 2022

EDITORIAL
Miguel Burgueño Javier de la Cruz Eva López de Castro Juan Manuel Vadillo Marta Revilla Carlos Repullo José María Malfaz Rafael Martínez Anna Ramiro Juan López Palafox Jesús Daniel Parejo Director Científico de DM Dentista Moderno. Dr. Imanol Donnay Leticia Rodríguez José Nart Emi Rodríguez Directora de DM Dentista Moderno Eva Mª Martínez

SET DE DESTORNILLADORES Y HERRAMIENTAS PARA TRABAJAR EN LA BOCA DEL PACIENTE O EN EL MODELO

Los destornilladores se venden individualmente: Están disponibles en diferentes longitudes según el sistema: short, medium, long, extra-long

Los destornilladores se venden individualmente: Están disponibles en diferentes longitudes según el sistema: short, medium, long, extra-long

Torque Ratchet Wrench

Torque Ratchet Wrench

Screwdriver Handpiece (mango para destornillador)

Screwdriver Handpiece (mango para destornillador)

Screwdriver

Zirkonzahn MUA Adapter Ratchet Wrench

Screwdriver Zirkonzahn MUA

Adapter Ratchet Wrench

¡NUEVO! SET SCREWDRIVER LAB Y SCREWDRIVER HOLDER MAGPRISM

¡NUEVO! SET SCREWDRIVER LAB Y SCREWDRIVER HOLDER MAGPRISM

Nuevos destornilladores para atornillar y aflojar los distintos tornillos en el modelo (no está aprobada para uso intraoral) y soporte para un almacenamiento seguro. MÁS INFORMACIÓN

Nuevos destornilladores para atornillar y aflojar los distintos tornillos en el modelo (no está aprobada para uso intraoral) y soporte para un almacenamiento seguro.

Zirkonzahn Ibérica – T +34 937 290 390 – iberica@zirkonzahn.com – www.zirkonzahn.com

Ibérica – T +34 937 290 390 – iberica@zirkonzahn.com – www.zirkonzahn.com

Zirkonzahn Worldwide – T +39 0474 066 680 – info@zirkonzahn.com – www.zirkonzahn.com

Zirkonzahn Worldwide – T +39 0474 066 680 – info@zirkonzahn.com – www.zirkonzahn.com

MÁS INFORMACIÓN ¡NUEVO! SET SCREWDRIVER LAB Y SCREWDRIVER HOLDER MAGPRISM
destornilladores para atornillar y
los distintos tornillos en el modelo
uso intraoral)
INFORMACIÓN ¡NUEVO! UNIVERSAL SCREWDRIVER SET SET DE DESTORNILLADORES Y HERRAMIENTAS PARA TRABAJAR EN LA BOCA DEL PACIENTE O EN EL MODELO Screwdriver Zirkonzahn MUA Adapter Ratchet Wrench Los destornilladores se venden individualmente: Están disponibles en diferentes longitudes según el sistema: short, medium, long, extra-long Torque Ratchet Wrench Screwdriver Handpiece (mango para destornillador)
7 eldentistamoderno noviembre/diciembre 2022 Zirkonzahn Ibérica – T +34 937 290 390 – iberica@zirkonzahn.com – www.zirkonzahn.com Zirkonzahn Worldwide – T +39 0474 066 680 – info@zirkonzahn.com – www.zirkonzahn.com
Nuevos
aflojar
(no está aprobada para
y soporte para un almacenamiento seguro. MÁS
Zirkonzahn
MÁS INFORMACIÓN
MÁS INFORMACIÓN ¡NUEVO! UNIVERSAL SCREWDRIVER SET
SET DE DESTORNILLADORES Y HERRAMIENTAS PARA TRABAJAR EN LA BOCA DEL PACIENTE O EN EL MODELO
MÁS INFORMACIÓN
¡NUEVO! UNIVERSAL SCREWDRIVER SET

“GRACIAS A LAS NUEVAS TECNOLOGÍAS, TRABAJAMOS MÁS EN LA PLANIFICACIÓN PARA TRABAJAR MENOS DURANTE LA EJECUCIÓN”

El Dr. Juan Mesquida, especialista en Implantología Avanzada y comprometido con el desarrollo e investigación en este campo, combina su pasión por la práctica clínica en Palma de Mallorca con su labor como docente y divulgador para el programa de implantología Avanzada de Loma Linda. En esta entrevista, el Dr. Mesquida nos ofrece una radiografía de la clínica digital en la actualidad, detallando además los beneficios y ventajas que ofrecen las herramientas digitales al clínico y a sus pacientes.

 DM.- Como especialista en Implantología Avanzada, ¿cómo considera usted que se pueden maximizar los resultados de la implantología en el sector estético a través de la tecnología digital disponible en la actualidad?

Dr. Juan Mesquida (Dr. J.M.).- La implantología estética requiere un análisis en profundidad de lo que son las características intrínsecas del paciente (disponibilidad ósea, arquitectura ósea, disponibilidad de encía –tanto queratinización como volumen–) y la tecnología digital nos permite evaluar mejor y de forma más precisa todas esas variables y, sobre todo, mejorar en la ejecución de los tratamientos. Hay una publicación de un grupo australiano que investiga casos de implantes colocados en el sector anterior y que nos dice que en aquellos casos en los que los implantes están mal posicionados hacia vestibular, la incidencia de recesiones, incluso a corto plazo, es muy alta. Por tanto, podemos decir que está demostrado que el mayor factor que puede afectar a la pérdida de tejido en implantes anteriores es el mal posicionamiento de los implantes. La cirugía guiada, uno de los “brazos” de la tecnología digital actual, permite eliminar el factor error humano y eso nos estandariza a todos y nos permite proporcionar tratamientos más predecibles y, a la vez, reducir el estrés del clínico en el momento de ejecutar el tratamiento porque todo está mucho más dirigido previamente.

entrevista ENTREVISTA 8 eldentistamoderno noviembre/diciembre 2022
Dr. Juan Mesquida, especialista en Implantología Avanzada

Gracias a las nuevas tecnologías, trabajamos más en la planificación para trabajar menos durante la ejecución.

 DM.-¿Cuándo fue realmente consciente de la digitalización de la odontología? Y, en concreto, ¿qué fue lo primero que introdujo en su práctica diaria? Dr. J.M.- En torno a 2005-2006 comienzo con implantología y en esa época el gran caballo de batalla de esta especialidad era el ajuste pasivo, es decir, que las prótesis ajustaran bien. Es en ese momento cuando se empieza a incorporar la tecnología CAD/CAM a los laboratorios y se empiezan a fresar barras, lo que implica menos posibilidad de distorsión; y a partir de ahí empieza todo lo digital. Simultáneamente, en esa época se empieza a utilizar la tecnología Cone Beam, la imagen CBCT (Cone Beam Computed Tomography), para también el diagnóstico de los pacientes; ésta es la primera percepción real que tengo yo de la digitalización en el sector dental. A partir de ahí, de poder escanear los modelos y poder capturar un modelo tridimensional

del paciente, podemos superponer estructuras; y es aquí donde comienza el camino de la cirugía guiada. Por ejemplo, NobelGuide, que fue el primer software de cirugía guiada que yo utilicé, nació en el año 2005. Por tanto, la digitalización de la odontología nace de superponer la tecnología Cone Beam con los escaneados de laboratorio y poder, en base a la posición de los futuros dientes, planificar –previamente a la colocación de los implantes– la colocación ideal de esa fijación.

La tecnología digital nos permite evaluar mejor y de forma más precisa todas las características intrínsecas del paciente y, sobre todo, mejorar en la ejecución de los tratamientos ”

9 eldentistamoderno noviembre/diciembre 2022

El Dr. Juan Mesquida es director del curso “Diagnóstico y ejecución digital del implante unitario en el sector estético. Desde la planificación (CAD) hasta la colocación del implante de forma guiada + fabricación de corona provisional + injerto de tejido conectivo”, impartido los pasados 3, 4 y 5 de noviembre en la Casa de las Encías de SEPA.

 DM.- Actualmente, la digitalización de la clínica dental es una realidad. ¿Cuáles son las ventajas que ofrece la clínica digital al clínico y a sus pacientes?

Dr. J.M.- La principal ventaja desde el punto de vista del clínico es el hecho de eliminar el error humano, ya que se elimina a todos los niveles: la toma de impresiones con el escáner es más reproducible

la hora de generar modelos que una impresión y ofrece un menor margen de error en general; la radiografía digital beneficia a nuestros pacientes y los clínicos tanto por la inmediatez de los resultados como por la menor radiación necesaria; y, por supuesto, el confort de los pacientes. A día de hoy, la digitalización y el hecho de poder colocar implantes de cirugía guiada implica que, en muchos casos, no necesitamos ni siquiera abrir colgajo, podemos evitar generar incisiones con un postoperatorio muy favorable para los pacientes. Además, debemos recordar que hace unos años uno de los miedos más habituales entre los pacientes, en casos de prótesis y rehabilitación, tenía que ver con la toma de impresiones ya que muchos de ellos tenían auténtica fobia a este proceso. Ahora, gracias al escáner intraoral, podemos tratar a un abanico de pacientes que antes no podíamos tratar porque se mostraban reacios a acudir al odontólogo por el miedo a la toma de impresiones. En líneas generales, la digitalización nos permite reducir el margen de error.

 DM.- ¿Cómo responden los pacientes a toda esta tecnología en su clínica? ¿Qué ventajas les aporta?

Dr. J.M.- Principalmente hay tres factores dentro de la digitalización. En primer lugar, está el factor WOW, que es el factor de marketing para la clínica, ya que el paso de una clínica analógica a una clínica digital refleja que el profesional responsable de esa clínica ha realizado una inversión muy importante pensando en el beneficio de sus pacientes y eso genera un efecto WOW. El segundo factor es la comodidad para los pacientes al reducir la morbilidad en los procedimientos quirúrgicos, aumentar la precisión de los procedimientos quirúrgicos y reducir las impresiones.

Y, por último, un tercer factor también importante es el transporte de productos sanitarios. La digitalización nos permite enviar (y recibir) al laboratorio sin necesidad de tener que enviar modelos físicos, lo que evita errores en la logística de los trabajos.

 DM.- La cirugía navegada es una tecnología bastante nueva en la odontología. ¿Cómo la está utilizando en la clínica y cómo se decide por el tratamiento con guía quirúrgica o navegación?

Dr. J.M.- En cuanto a mi práctica clínica, utilizo la cirugía navegada en prácticamente todos los casos. Si analizamos la precisión, comparando la cirugía dinámica con la cirugía estática, no hay

entrevista ENTREVISTA 10 eldentistamoderno noviembre/diciembre 2022
a
La digitalización de la odontología nace de superponer la tecnología Cone Beam con los escaneados de laboratorio y poder, en base a la posición de los futuros dientes, planificar –previamente a la colocación de los implantes–la colocación ideal de esa fijación

mucha diferencia si ambas están bien ejecutadas. El problema es que una férula de cirugía estática necesita un proceso de fabricación y todo proceso de fabricación genera un error inherente, es decir, si una de cada mil férulas no está fabricada de forma correcta, ese paciente va a tener una distorsión porque no se va a poder colocar de la forma en que se había planificado. La cirugía dinámica tiene una gran ventaja puesto que no es necesario fabricar ningún dispositivo que utilizar a la hora de fresar (fresamos a mano alzada), no necesito ningún tipo de ajuste sobre el paciente porque lo tengo digitalizado.

Por otro lado, al comparar la cirugía dinámica con la estática no se suele hablar del hecho de que cuando fresamos a través de férula de cirugía estática, perdemos percepción de la densidad del hueso con el que estamos trabajando y eso, a veces, ha derivado en problemas de estabilidad primaria. Pero esto con la cirugía navegada no pasa.

A día de hoy, sigo haciendo algún caso con cirugía estática por temas de investigación, pero en el resto de casos opto siempre por la cirugía dinámica por las ventajas que conlleva a todos los niveles.

 DM.- ¿Cómo ayudan las herramientas digitales al profesional en el flujo digital de su clínica? En líneas generales, ¿qué herramientas digitales son esenciales para ayudar al clínico a ofrecer flujos de trabajo digitales?

Dr. J.M.- Esencialmente una clínica digitalizada no necesariamente requiere ya una parte donde tengamos que positivizar modelos, ayuda al clínico a eliminar todo el trabajo engorroso de laboratorio, ayuda a agilizar los procesos de envío y recepción de los propios tratamientos mejorando la logística y, sobre todo, ayuda al clínico que a lo mejor tiene un target de pacientes con una capacidad económica reducida a democratizar el acceso a unos tratamientos de mayor calidad a un precio menor. Hoy en día se puede ofrecer la misma calidad de tratamiento de forma reproducible. Respecto a las herramientas digitales, en líneas generales contamos con una serie de herramientas necesarias para una digitalización real que nos permita tratar todas las situaciones clínicas: tecnología Cone Beam (CBCT), escáner intraoral, fotogrametría para casos de edéntulos completos y la implementación de la fotografía digital dentro del diagnóstico (especialmente en casos en que hablamos del sector estético, donde es muy importante realizar una planificación basada en la estética facial del paciente, incluso contar con visualizaciones de

11 eldentistamoderno noviembre/diciembre 2022

Estamos en una fase en la que tenemos que afinar los protocolos digitales, pero las herramientas digitales ya las tenemos a nuestra disposición ”

los resultados en el paciente antes de iniciar el tratamiento, ayudándonos así a controlar las expectativas del paciente y saber hasta dónde podemos llegar).

 DM.- Hablemos del futuro de las clínicas con las nuevas tecnologías y soluciones de vanguardia. ¿Hacia dónde se dirigen las tendencias en el camino de la digitalización de las clínicas y sus profesionales?

Dr. J.M.- La fotogrametría como herramienta necesaria para poder restaurar edéntulos completos con prótesis implantosoportada no está lo suficientemente implementada en el mercado. La fotogrametría tiene que reducir sus precios para poder llegar a todo el mundo, al igual que los escáneres intraorales, pues se trata todavía de productos muy caros y complicados para un profesional joven que está empezando y quiere montar su propia clínica digitalizada.

En definitiva, estamos en una fase en la que tenemos que afinar los protocolos digitales, pero las herramientas digitales ya las tenemos a nuestra disposición. No obstante, creo que también hay que mejorar los componentes protéticos sobre implantes (en muchos casos, necesitamos personalizar esos componentes para tener unas interfaces más ajustadas a nuestros pacientes).

 DM.- Desde que se graduó en 2005 ha estado comprometido en el desarrollo y la investigación en el

campo de la Implantología, siendo premiado en múltiples ocasiones por sus investigaciones. ¿En qué investigaciones está inmerso en estos momentos?

Dr. J.M.- En 2021, junto con dos clínicos norteamericanos, el Dr. Matthew J. Fien y el Dr. Israel Peterman, y un clínico español, el Dr. Ignacio Ginebreda, creamos Indent Research (International Dental Research), una empresa de investigación privada con la que intentamos generar investigación privada independiente. Los cuatro somos clínicos que trabajamos con diferentes empresas y para mantener nuestra independencia hemos querido formar un grupo ajeno a la industria y con proyectos muy interesantes. En concreto, estamos haciendo muchos estudios sobre la zona del maxilar inferior en implantología estética, ya que la mayor parte de los estudios realizados en implantología estética son sobre el maxilar superior, y lo que estamos viendo es que los resultados de los estudios sobre el maxilar superior no son extrapolables al maxilar inferior. También estamos investigando en sustitutos, tanto de injertos de tejido blando como de injertos de hueso, con el objetivo de reducir la morbilidad de nuestros pacientes. Asimismo, estamos trabajando en la investigación de la mucointegración.

Todas estas investigaciones son una parte importante y necesaria de mi trabajo para poder aprender cosas que a día de hoy todavía no están evidenciadas.

entrevista ENTREVISTA 12 eldentistamoderno noviembre/diciembre 2022
En líneas generales, la digitalización nos permite reducir el margen de error ”

ELEVACIÓN TRANSCRESTAL CON IMPLANTES CORTOS UNITARIOS.

SERIE DE CASOS

Los implantes cortos y extracortos son una alternativa para las zonas de atrofia ósea alveolar a nivel posterior donde existe una altura reducida para la inserción directa de implantes de mayor longitud. En este caso la elevación de seno convencional o por abordaje lateral ha sido siempre la técnica a emplear hasta la llegada de estos implantes y la técnica de elevación transcrestal. A lo largo de este artículo se presentan una serie de casos con los que se concluye que los implantes unitarios cortos o extracortos, unidos a la técnica de elevación crestal, pueden ser una apuesta terapéutica segura y predecible cuando se emplean protocolos cuidadosos de inserción y de rehabilitación protésica.

Introducción

La técnica de elevación de seno transcrestal nace como una alternativa a la elevación de seno convencional por abordaje lateral para reducir los efectos secundarios así como las posibilidades de fracaso por aparición de complicaciones, que son mucho más frecuentes en el abordaje convencional1-2. La técnica ha evolucionado desde su concepción por Summers en los años 90, generándose instrumentos para poder lograr un abordaje menos invasivo y más simple para el cirujano que lo lleva a cabo, pero la esencia del procedimiento continúa siendo la misma3. Se genera una perforación en la cresta alveolar por la que se accede a la membrana sinusal para ser elevada y poder insertar posteriormente implantes en la misma fase quirúrgica, con o sin material de relleno, en función de las características del lecho receptor y las preferencias del profesional4-6. La unión de los implantes cortos y extracortos a la técnica de abordaje transcrestal del seno abrió una nueva ventana de posibilidades para realizar procedimientos cada vez menos invasivos y tratar casos de atrofia severa con intervenciones sencillas y predecibles7-8. En las primeras fases de empleo de esta técnica unido a los implantes cortos se establece un límite de al menos 5 mm de hueso residual en altura para garantizar una correcta estabilidad del implante y por lo tanto el éxito del procedimiento9-10. Según se avanza en el uso de la técnica y surgen nuevas longitudes de implantes, como los implantes ultracortos actuales, con longitudes de 4,5 mm se modifican los protocolos. Esta modificación se basa en el concepto de estabilidad primaria tridimensional

(en toda la anchura del alveolo) y no solo en la altura del hueso remanente residual. De este modo en longitudes menores de 5 mm si utilizamos un correcto protocolo de fresado y posicionamos el implante de forma correcta en el plano tridimensional podemos lograr una estabilidad que nos permita alcanzar el éxito de tratamiento en casos donde la indicación clara hace unos años habría sido el abordaje lateral convencional10-12. Posteriormente, varios estudios han apoyado esta tesis, identificando la importancia de la anchura entre las paredes del seno, que es más crítica que la altura de hueso residual. Una anchura entre las paredes vestibular y palatina del seno menor de 12 mm nos garantiza una formación de hueso mayor que en distancias superiores, siendo estos 12 mm la distancia crítica que marca la diferencia entre lo que podemos considerar un seno “estrecho” o favorable y uno “ancho” o desfavorable8,13-15. Aun con toda esta información y con un protocolo de fresado estandarizado y adaptado a las necesidades de cada paciente existen situaciones como las reposiciones unitarias que cuando son realizadas con elevación transcrestal presentan mayor riesgo tanto en su fase quirúrgica como en la posterior carga16,17. Esta situación se da en un menor porcentaje de casos, debido a que una pérdida unitaria, no suele generar un defecto en altura de grandes dimensiones, si se conservan piezas adyacentes que mantienen la altura ósea en mesial y distal de la pieza ausente. A pesar de no ser una situación muy frecuente, cuando nos enfrentamos a ella, poder disponer de una técnica poco invasiva

caso clínicoIMPLANTOLOGÍA 14 eldentistamoderno noviembre/diciembre 2022
Contacto: Eduardo Anitua Foundation eduardo@fundacioneduardoanitua.org

como el abordaje transcrestal con la inserción de un implante corto o extracorto es una solución muy ventajosa tanto para el profesional como el paciente. En el presente estudio hemos querido analizar de forma retrospectiva casos en los que se insertaran implantes cortos y extracortos mediante abordaje transcrestal en zonas de atrofia elevada (menos de 5 mm de hueso residual) para evaluar la repercusión de estos parámetros, de entrada negativos (reposición unitaria, escaso volumen residual, técnica accesoria de elevación crestal), en la supervivencia de los implantes analizados.

Material y método

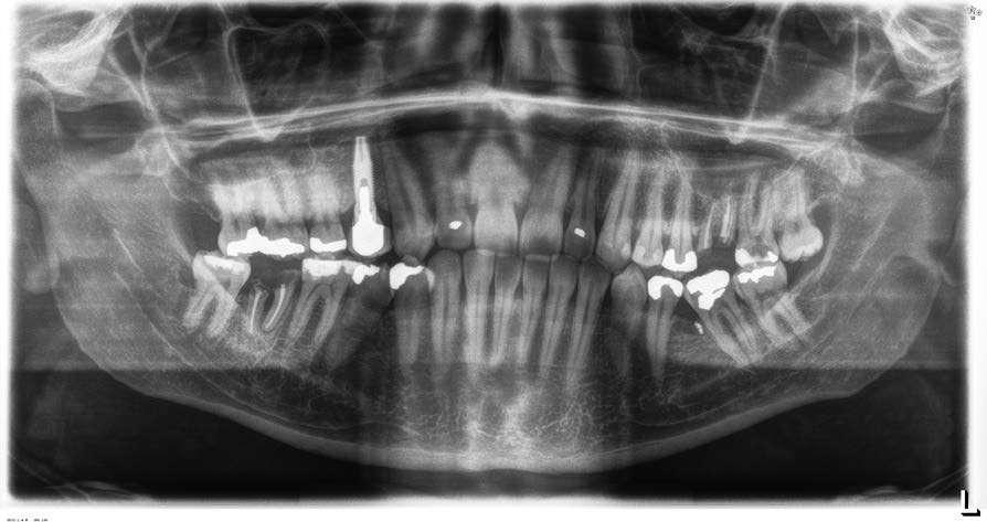
Fueron revisadas historias clínicas de forma retrospectiva de los implantes insertados en el segundo semestre del año 2015 y primer trimestre del año 2017, de tal forma que puedan tener un seguimiento en el tiempo tras la carga elevado, para identificar aquellos casos implantes cortos y extra-cortos insertados de forma unitaria en zonas de maxilar posterior con altura ósea residual menor de 5 mm y con la técnica de elevación transcrestal. Todos los pacientes fueron estudiados antes de la inserción de los implantes mediante modelos diagnósticos, exploración intraoral y realización de un TAC dental (Cone-beam) analizado posteriormente mediante un software específico (BTI-Scan II). Antes de la inserción de los implantes se utilizó una pre-medicación antibiótica consistente en amoxicilina 2 gr vía oral una hora antes de la intervención y paracetamol 1 gramo vía oral (como analgésico). Posteriormente los pacientes prosiguieron con un tratamiento de amoxicilina 500-750 mg vía oral cada 8 horas (según peso) durante 5 días. Los implantes fueron colocados por un mismo cirujano, mediante la técnica de fresado biológico, a bajas revoluciones, sin irrigación17-19. El fresado final de la cortical sinusal se realiza con la fresa de corte frontal (ideada para esta técnica) que nos permite la retirada del suelo del seno maxilar sin dañar la membrana de Schneider12. Una vez la membrana es accesible mediante la perforación crestal se despega, colocándose el injerto óseo y posteriormente se inserta el implante con el motor quirúrgico fijado a 25 Ncm y 25 rpm finalizando la inserción del implante con la llave dinamométrica. El fresado se adapta para lograr una correcta estabilidad primaria conociendo la densidad de la zona y el volumen óseo residual. El implante eleva lentamente la membrana a la vez que es insertado en el neo-alveolo.

los pacientes acuden cada 6 meses a la realización de radiografías panorámicas de control y sobre estas radiografías se realizan las mediciones necesarias para comprobar la estabilidad y pérdida ósea crestal de los implantes. Una vez obtenida la radiografía en formato digital es calibrada mediante un software específico (Sidexis measure) a través de una longitud conocida en la radiografía como es el implante dental. Una vez introducimos la medida de calibración, el programa informático realiza un cálculo basado en esta medida para eliminar la magnificación, pudiendo realizar mediciones lineales exentas de este error.

El implante fue la unidad de análisis para la estadística descriptiva en cuanto a la localización, dimensiones del implante, y mediciones radiográficas. El paciente fue la unidad de medida para el análisis de la edad, sexo y la historia médica. La variable principal fue la supervivencia del implante y como variables secundarias se registraron la pérdida ósea mesial y distal y la presencia de complicaciones quirúrgicas o protésicas.

Fue realizado un test de shapiro-Wilk sobre los datos obtenidos para constatar la distribución normal de la muestra.

Las variables cualitativas se describieron mediante un análisis de frecuencias. Las variables cuantitativas se describieron mediante la media y la desviación estándar. La supervivencia de los implantes se calculó mediante el método de Kaplan-Meier. Los datos fueron analizados con SPSS v15.0 para Windows (SPSS Inc., Chicago, IL, USA).

Resultados

Fueron reclutados 11 pacientes en los que se insertaron 11 implantes que cumplieron los criterios de inclusión. 6 de los pacientes fueron mujeres, con una media de edad en el grupo de 62 años (+/- 6,7). Ninguno de los pacientes eran fumadores. La localización más frecuente en los implantes estudiados fue para la zona de la pieza dental 16 (54,5%) seguida de la pieza 26 (27,3%) y finalmente la localización menos frecuente fue para la pieza 27 (18,2%). La longitud predominante de los implantes insertados fue de 7,5 mm en el 72,7% y de 6,5 mm en el 27,3% de los casos. En cuanto al diámetro, el más frecuente fue el de 5,5 mm con un rango que osciló entre los 5 y los 6,25 mm. Los diámetros y longitudes de los implantes incluidos en el estudio se recogen de forma detallada en la figura 1.

15 eldentistamoderno noviembre/diciembre 2022

PhD1,2,3

1Private practice in oral implantology, Eduardo Anitua Institute, Vitoria, Spain.

2Clinical researcher, Eduardo Anitua Foundation, Vitoria, Spain.

3 University Institute for Regenerative Medicine and Oral Implantology

- UIRMI (UPV/EHUFundación Eduardo Anitua), Vitoria, Spain.

Dr. Eduardo Anitua DDS, MD,

Figura 1. Implantes incluidos en el estudio según su diámetro y longitud.

1

Figura 2. Imagen inicial del caso donde podemos observar un resto radicular en posición 26 que debe ser extraído para posterior colocación de un implante dental.

La altura media de la cresta en los implantes estudiados fue de 3,75 mm (+/-1,04) con un rango de entre 2 y 4,90 mm. El tiempo medio de seguimiento de los implantes fue de 60 meses (+/- 9,3). La media de la pérdida ósea mesial de los implantes fue de 0,69 mm (+/- 0,69) y la media de la pérdida ósea distal fue de 0,63 mm (+/- 0,39). Todos los implantes fueron rehabilitados en dos fases y

2

todos ellos fueron ferulizados a otros implantes en la rehabilitación. Las prótesis colocadas sobre los implantes fueron atornilladas mediante transepitelial Unit en el 100% de los casos. Durante el período de seguimiento no se registró ningún fracaso de implante ni eventos adversos en la prótesis. En la imagen 2 – se muestra uno de los casos incluidos en el estudio.

caso clínicoIMPLANTOLOGÍA 16 eldentistamoderno noviembre/diciembre 2022

Figuras 3 y 4 . Corte del Cone-beam dental tras la exodoncia y regeneración del alveolo con Endoret-PRGF cuatro semanas después. Podemos observar la atrofia ósea en sentido vertical de la zona con una altura máxima de 3 mm. La planificación como podemos visualizar será para la realización de una elevación transcrestal mínima y la colocación de un implante extracorto.

Figuras 5 y 6. Inicio de fresado de la cortical inferior del seno maxilar con la fresa de corte frontal.

Figuras 7 y 8. Despegamiento de la membrana para comenzar la elevación transcrestal.

Figuras 9 y 10. Inserción de membrana de fibrina como material de relleno en el neo-alveolo y colocación del implante.

17 eldentistamoderno noviembre/diciembre 2022
3 4 5
7
9 10
6
8

Figura 11. Colocación de la corona con el transepitelial unitario 6 meses tras la cirugía.

Figura 12. Mantenimiento de la altura ósea lograda y de la estabilidad del implante al año de carga visualizada en cone-beam.

Figura 13. Estabilidad del tratamiento a los 7 años. No existe pérdida ósea asociada ni problemas relacionados con la prótesis.

Discusión

Los implantes cortos y extracortos rehabilitados de forma unitaria en el maxilar, mediante abordaje transcrestal han sido una opción terapéutica para evitar cirugías mas invasivas en los pacientes del presente estudio y por lo tanto disminuir la morbilidad de la técnica convencional, que hubiese precisado una elevación de seno por abordaje lateral. Uno de los principales inconvenientes reportados en la literatura es la menor predictibilidad de estos implantes cortos cuando se insertan en el maxilar superior posterior comparados con los implantes considerados “de longitud convencional” unido a las técnicas reconstructivas20-22. En algunos estudios se reportan mayor porcentaje de complicaciones y fracasos20-22, mientras que en otros estudios la incidencia de estos eventos es similar o a favor de los implantes cortos12,18,23. El principal reto de estos casos mostrados en el presente estudio ha sido lograr la estabilidad con un implante unitario, tanto

inicial, como a largo plazo, en un hueso con extrema reabsorción vertical y un implante de longitud disminuida (como son los implantes cortos y extracortos). Aun así, siguiendo un cuidadoso protocolo de inserción y de fresado basado en las características del lecho receptor y en la morfología del implante a insertar se ha logrado una resolución de todos los casos con un 100% de supervivencia tanto en los implantes como en las prótesis12,17-19. Esta diferencia entre los distintos protocolos puede ser un punto diferencial en los estudios donde se han reportado tasas de fracaso superiores para cohortes como la analizada en nuestro grupo de estudio.

Conclusiones

Los implantes unitarios cortos o extracortos unidos a la técnica de elevación crestal pueden ser una apuesta terapéutica segura y predecible cuando se emplean protocolos cuidadosos de inserción y de rehabilitación protésica.

caso clínicoIMPLANTOLOGÍA 18 eldentistamoderno noviembre/diciembre 2022
11 13
12

Resumen

Introducción: los implantes cortos y extracortos son una alternativa para las zonas de atrofia ósea alveolar a nivel posterior donde existe una altura reducida para la inserción directa de implantes de mayor longitud. En este caso la elevación de seno convencional o por abordaje lateral ha sido siempre la técnica a emplear hasta la llegada de estos implantes y la técnica de elevación transcrestal. Material y métodos: fueron revisadas historias clínicas de forma retrospectiva aquellos casos implantes cortos y extra-cortos insertados de forma unitaria en zonas de maxilar posterior con altura ósea residual menor de 5 mm y con la técnica de elevación transcrestal. El fresado final de la cortical sinusal se realiza con la fresa de corte frontal (ideada para esta técnica) que nos permite la retirada del suelo del seno maxilar sin dañar la membrana de Schneider. Los pacientes acuden cada 6 meses a la realización de radiografías panorámicas de control y sobre estas radiografías se realizan las mediciones necesarias para comprobar la estabilidad y pérdida ósea crestal de los implantes. La variable principal fue la supervivencia del implante y como variables secundarias se registraron la pérdida

Bibliografía

1. Tan WC, Lang NP, Zwahlen M, Pjetursson BE. A systematic review of the success of sinus floor elevation and survival of implants inserted in combination with sinus floor elevation. Part II: transalveolar technique. J Clin Periodontol. 2008;35(8 Suppl):241–54.

2. Tavelli L, Borgonovo AE, Saleh MH, Ravidà A, Chan HL, Wang HL. Classification of Sinus Membrane Perforations Occurring During Transcrestal Sinus Floor Elevation and Related Treatment. Int J Periodontics Restorative Dent. 2020 Jan/Feb;40(1):111-118.

3. Summers RB. A new concept in maxillary implant surgery: the osteotome technique. Compendium. 1994;15:152–62.

4. Bruschi GB, Crespi R, Capparè P, Gherlone E. Transcrestal sinus floor elevation: a retrospective study of 46 patients up to 16 years. Clin Implant Dent Relat Res. 2012 Oct;14(5):759-67.

5. Chu DG, Su YC, Li YN, Zhang WW, Lyu TM, Wang LD. [Clinical applications of transcrestal around detached sinus floor elevation technique using osteotomes and sequential drills with stops]. Zhonghua Kou Qiang Yi Xue Za Zhi. 2018 Sep 9;53(9):645-647.

6. Lundgren S, Cricchio G, Hallman M, Jungner M, Rasmusson L, Sennerby L. Sinus floor elevation procedures to enable implant placement and integration: techniques, biological aspects and clinical outcomes. Periodontol 2000. 2017 Feb;73(1):103-120.

7. Al-Moraissi, E. A., Altairi, N. H., Abotaleb, B., Al-Iryani, G., Helboub, E., & Alakhali, M. S. What is the most effective rehabilitation method for posterior maxillae with 4 to 8 mm of residual alveolar bone height below the maxillary sinus with implant-supported prostheses? A frequentist network meta-analysis. Journal of Oral and Maxillofacial Surgery, 2019;77, 70.e1–70.e33.

8. Stacchi C, Bernardello F, Spinato S, Mura R, Perelli M, Lombardi T, Troiano G, Canullo L. Intraoperative

ósea mesial y distal y la presencia de complicaciones quirúrgicas o protésicas.

Resultados: fueron reclutados 11 pacientes en los que se insertaron 11 implantes que cumplieron los criterios de inclusión. La longitud predominante de los implantes insertados fue de 7,5 mm en el 72,7% y de 6,5 mm en el 27,3% de los casos. En cuanto al diámetro, el más frecuente fue el de 5,5 mm con un rango que osciló entre los 5 y los 6,25 mm. La altura media de la cresta en los implantes estudiados fue de 3,75 mm (+/-1,04) con un rango de entre 2 y 4,90 mm. El tiempo medio de seguimiento de los implantes fue de 60 meses (+/- 9,3). La media de la pérdida ósea mesial de los implantes fue de 0,69 mm (+/- 0,69) y la media de la pérdida ósea distal fue de 0,63 mm (+/- 0,39). Durante el período de seguimiento no se registró ningún fracaso de implante ni eventos adversos en la prótesis.

Conclusiones: los implantes unitarios cortos o extracortos unidos a la técnica de elevación crestal pueden ser una apuesta terapéutica segura y predecible cuando se emplean protocolos cuidadosos de inserción y de rehabilitación protésica.

complications and early implant failure after transcrestal sinus floor elevation with residual bone height ≤5 mm: A retrospective multicenter study. Clin Oral Implants Res. 2022 Aug;33(8):783-791.

9. Bernardello F, Righi D, Cosci F, Bozzoli P, Soardi CM, Spinato S. Crestal sinus lift with sequential drills and simultaneous implant placement in sites with <5 mm of native bone: a multicenter retrospective study. Implant Dent. 2011 Dec;20(6):439-44.

10. Gonzalez S, Tuan MC, Ahn KM, Nowzari H. Crestal approach for maxillary sinus augmentation in patients with ≤ 4 mm of residual alveolar bone. Clin Implant Dent Relat Res. 2014 Dec;16(6):827-35.

11. Lafzi A, Atarbashi-Moghadam F, Amid R, Sijanivandi S. Different techniques in transalveolar maxillary sinus elevation: A literature review. J Adv Periodontol Implant Dent. 2021 Apr 6;13(1):35-42.

12. Anitua E, Flores J, Alkhraisat MH. Transcrestal Sinus Floor Augmentation by Sequential Drilling and the Use of Plasma Rich in Growth Factors. Int J Oral Maxillofac Implants. 2017 May/June;32(3):e167–e173.

13. Lombardi T, Stacchi C, Berton F, Traini T, Torelli L, Di Lenarda R. Influence of Maxillary Sinus Width on New Bone Formation After Transcrestal Sinus Floor Elevation: A Proof-of-Concept Prospective Cohort Study. Implant Dent. 2017 Apr;26(2):209-216.

14. Spinato S, Bernardello F, Galindo-Moreno P, Zaffe D. Maxillary sinus augmentation by crestal access: a retrospective study on cavity size and outcome correlation. Clin Oral Implants Res. 2015 Dec;26(12):1375-82.

15. Zheng X, Teng M, Zhou F, Ye J, Li G, Mo A. Influence of Maxillary Sinus Width on Transcrestal Sinus Augmentation Outcomes: Radiographic Evaluation Based on Cone Beam CT. Clin Implant Dent Relat Res. 2016 Apr;18(2):292-300.

16. Testori T, Panda S, Clauser T, Scaini R, Zuffetti F, Capelli M, Taschieri S, Mortellaro C, Del Fabbro M. Short implants and platelet-rich fibrin for transcrestal sinus floor elevation: a prospective multicenter clinical study. J Biol Regul Homeost Agents. 2019 Nov-Dec;33(6 Suppl. 2):121-135.

17. Anitua E, Carda C, Andia I. A novel drilling procedure and subsequent bone autograft preparation: a technical note. Int J Oral Maxillofac Implants. 2007 Jan-Feb;22(1):138-45. Erratum in: Int J Oral Maxillofac Implants. 2007 Mar-Apr;22(2):309.

18. Anitua E, Alkhraisat MH, Orive G. Novel technique for the treatment of the severely atrophied posterior mandible. Int J Oral Maxillofac Implants. 2013 SepOct;28(5):1338-46.

19. Anitua E, Alkhraisat MH, Piñas L, Orive G. Efficacy of biologically guided implant site preparation to obtain adequate primary implant stability. Ann Anat. 2015 May;199:9-15.

20. Guljé FL, Raghoebar GM, Vissink A, Meijer HJA. Single crowns in the resorbed posterior maxilla supported by either 11-mm implants combined with sinus floor elevation or 6-mm implants:A 5-year randomised controlled trial. Int J Oral Implantol (Berl). 2019;12(3):315-326.

21. Svezia L, Casotto F. Short Dental Implants (6 mm) Versus Standard Dental Implants (10 mm) Supporting Single Crowns in the Posterior Maxilla and/or Mandible: 2-Year Results from a Prospective Cohort Comparative Trial. J Oral Maxillofac Res. 2018;9(3):e4.

22. Schwartz SR. Short implants: are they a viable option in implant dentistry?. Dent Clin North Am. 2015;59(2):317-328.

23. Thoma DS, Haas R, Sporniak-Tutak K, Garcia A, Taylor TD, Hämmerle CHF. Randomized controlled multicentre study comparing short dental implants (6 mm) versus longer dental implants (11-15 mm) in combination with sinus floor elevation procedures: 5-Year data. J Clin Periodontol. 2018;45(12):1465-1474.

19 eldentistamoderno noviembre/diciembre 2022

“ESTÉTICA, DIGITALIZACIÓN Y MÍNIMA INVASIÓN SON EL PRESENTE/FUTURO DEL TRATAMIENTO DIRIGIDO A NUESTROS PACIENTES ADULTOS MAYORES”

El XXI Congreso Nacional y X Internacional de la Sociedad Española de Gerodontología (SEGER) se celebrará en León los días 5 y 6 de mayo de 2023. El Dr. Mariano del Canto Pingarrón, presidente del comité organizador del encuentro, nos desvela a lo largo de esta entrevista las claves de SEGERLEON2023, con un programa enfocado al odontólogo joven y un formato dinámico que potencie la interacción y el debate, además de profundizar en el futuro de la Gerodontología en nuestro país.

 DM.- ¿A quién está dirigido el Congreso SEGERLEON2023 y cuáles son las claves por las que los profesionales no se lo pueden perder?

Dr. Mariano del Canto Pingarrón (Dr. M. del C.P.).Los días 5 y 6 de mayo de 2023 vamos a celebrar en León el XXI Congreso Nacional y X Internacional de la Sociedad Española de Gerodontología (SEGER), después de la suspensión de 2020 como consecuencia de la pandemia por COVID-19. En este RENACER de SEGERLEON tanto el Comité Científico, presidido por el profesor Miguel Ángel Alobera Gracia, como el comité organizador, el cual tengo el honor de presidir, queremos trasmitiros nuestro entusiasmo renovado por el evento que estamos preparando, pensando en compatibilizar ciencia y ocio.

Hemos preparado un programa enfocado al odontólogo joven, que será el actor de los tratamientos de nuestros mayores en los próximos años. Queremos que participen y aporten dentro del seno de sus universidades y dedicaremos una parte importante del Congreso a este menester premiando los mejores trabajos.

Queremos que este nuevo Congreso aporte frescura, interacción entre los participantes y vivos debates enriquecedores, por lo que el formato que os proponemos amalgama ponentes y participantes del Congreso en un mismo plano.

La sede del Congreso estará ubicada en el Auditorio de la ciudad de León, un espacio inigualable para

entrevista ENTREVISTA 20 eldentistamoderno noviembre/diciembre 2022
Dr. Mariano del Canto Pingarrón, presidente del Congreso SEGERLEON 2023

la celebración de nuestro congreso; León, ciudad monumental, cuna del parlamentarismo y la gastronomía, que sin duda no os dejará indiferentes. En SEGERLEON2023 os esperamos con los brazos abiertos deseando que nuestro trabajo cumpla vuestras expectativas.

 DM.-¿Cuáles serán las temáticas que se abordarán durante el Congreso? ¿Qué formato tendrá este encuentro para potenciar la interacción y el debate entre los participantes? Dr. M. del C.P.- En SEGERLEON 2023 estamos trabajando para hacer un Congreso dinámico en el que los participantes estarán en el mismo plano de los ponentes, de manera que pondremos en marcha un sistema interactivo ágil y rápido para poder ha-

cer preguntas, participar en encuestas y votaciones y obtener opiniones simultáneas al discurrir de las ponencias. Hemos organizado una sesión intensa el viernes 5 de mayo con 3 mesas de trabajo que aborden varias áreas de conocimiento de la Odontología. Ortodoncia, sobretratamiento o indicación, atrofia maxilar severa, enfoque terapéutico y rehabilitación prostodoncia en el paciente

21 eldentistamoderno noviembre/diciembre 2022

En la imagen, los Dres. Mariano del Canto Pingarrón (izq.) y José Sevilla Ferreras, presidente y vicepresidente de SEGERLEON2023, respectivamente.

Hemos preparado un programa enfocado al odontólogo joven, que será el actor de los tratamientos de nuestros mayores en los próximos años ”

adulto mayor, analógica o digital. La primera mesa estará a cargo del Prof. Juan Carlos Rivero y la Dra. Fara Yeste con la moderación del Prof. José López; veremos a qué conclusiones llegamos. La segunda mesa estará integrada por el Dr. Fernando Duarte, el Dr. Eduardo Crooke y el Dr. David Morales, moderada por el Dr. Bruno Ruíz; exprimiremos las posibilidades terapéuticas actuales de pacientes con atrofias severas que dificultan su tratamiento convencional, analizando casos con el auditorio. La tercera mesa estará compuesta por el Prof. Guillermo Pradíes, el Dr. José Antonio Badás y el Dr. Imanol Donay, moderada por la Profa. Mª Jesús Suárez.. ¿Rehabilitación prostodóncica analógica o digital?

Lo discutiremos juntos.

La cuarta mesa de la sesión la hemos denominado “Maratón de Decisiones Clínicas” y en ella abordaremos temas específicos del paciente adulto mayor de una manera muy directa, “al grano”, para que el participante pueda obtener respuestas inmediatas sobre boca seca, bifosfonatos, anticoagulados, dientes comprometidos, apnea del sueño, uso de analgésicos y enfermedades sistémicas y enfermedad periodontal. Contaremos en esta mesa con jóvenes ponentes de trayectoria universitaria y la moderación del Prof. Andrés Blanco.

 DM.- Háblenos del Concurso Interuniversitario. ¿Cuál es el objetivo de este certamen?

Dr. M. del C.P.- En la sesión del sábado aunaremos un Concurso Interuniversitario en el salón principal, para darles todo el protagonismo a nuestros dentistas jóvenes y que hemos dotado de 3 premios importantes patrocinados por el Consejo de Colegios de Dentistas de Castilla y León y el Laboratorio Pérez Carretero y terminaremos con 2 mesas de máximo interés: “Periimplantitis, ¿tratamos el implante o la prótesis?”, a cargo del Dr. Alberto Monje y el Dr. Guillermo Cabanes, moderada por el Prof. Eugenio Velasco; y “Estética en el paciente adulto mayor, desde los dientes a la cara”, con los Dres. Daniel Capitán y Pablo Baltar.

Durante todo el Congreso, tanto en las sesiones de pausa café como en las comidas de trabajo y en la fiesta con los patrocinadores, tendremos la oportunidad de hablar con nuestros ponentes y acceder a las novedades y ofertas de nuestros patrocinadores. Podemos conocerlos en www.segerleon2023.es.

 DM.- Sobre la situación de la especialidad en España, ¿cómo ha cambiado la Gerodontología en estos últimos años?

Dr. M. del C.P.- En el momento actual no podemos hablar de especialidades en Odontología y por tanto tampoco de Gerodontología como especialidad. Lo cierto es que cada día es más importante la adaptación de los contenidos curriculares a las peculiaridades de una población que cada día vive más años, en mejores condiciones y con mayores exigencias estéticas y funcionales para seguir con su vida social y a veces, también una segunda vida laboral. Y son nuestros odontólogos jóvenes y en

entrevista ENTREVISTA 22 eldentistamoderno noviembre/diciembre 2022
Queremos que este nuevo Congreso aporte frescura, interacción entre los participantes y vivos debates enriquecedores ”

formación los que enfrentarán con mayor medida esta trasformación social y por eso queremos generarles inquietudes desde SEGERLEON2023. Sin duda la población adulta mayor en nuestra sociedad actual tiene requerimientos y necesidades enormemente exigentes que tienen mucho que ver con nuestra forma de vida social y de relación. Por ello se hace hoy día y se hará en los próximos años, con mayor trascendencia, imprescindible que la formación que el odontólogo recibe en nuestras universidades y fuera de ellas se adapte a estos requerimientos sociales actuales. Pero a la vez, muchos de nuestros adultos mayores están polimedicados y presentan patologías médicas de toda índole, lo que condiciona el quehacer del odontólogo y exige el conocimiento de éstas por parte del odontólogo.

La población adulta mayor en nuestra sociedad actual tiene requerimientos y necesidades enormemente exigentes que tienen mucho que ver con nuestra forma de vida social y de relación. Por ello se hace hoy día y se hará en los próximos años, con mayor trascendencia, imprescindible que la formación que el odontólogo recibe en nuestras universidades y fuera de ellas se adapte a estos requerimientos sociales actuales

23 eldentistamoderno noviembre/diciembre 2022

Es esta doble disyuntiva, adulto mayor sano y adulto mayor enfermo, la que obliga a la Gerodontología a ser flexible y proporcionar tratamientos adaptados a cada caso y situación, siempre en beneficio de nuestros pacientes.

 DM.- En concreto, ¿cómo se ha visto afectada la salud bucodental de los mayores a raíz de la pandemia?

Dr. M. del C.P.- Es una evidencia contrastada que los meses de confinamiento han provocado la suspensión en las revisiones bucodentales  y la relajación en la alimentación, provocando así un aumento en de  los casos de caries  por acumulación de placa bacteriana, los de bruxismo o los de gingivitis  tras vivir prolongados momentos de ansiedad y estrés. Esto ha sido especialmente intenso en la población adulta mayor enferma o polimedicada.

También sabemos que, junto a estos factores, hay que añadir los  efectos secundarios del uso de la mascarilla sobre la dentadura, ya que ésta puede provocar la aparición de  halitosis,  enfermedades periodontales,  caries,  tinción dental,  falta de hidratación  y la  proliferación de bacterias  por la falta de oxígeno.

 DM.- En líneas generales, ¿cuáles son las líneas de tratamiento futuras para los pacientes mayores?

Dr. M. del C.P.- Sin duda, el cambio de nuestros pacientes mayores en los últimos años y más aún el cambio que vendrá en las próximas décadas llevan a la consulta de los odontólogos a pacientes en magníficas condiciones físicas y con intensa actividad social. En estas condiciones, nuestro trabajo exige adaptar los tratamientos a estos pacientes implementando tanto su funcionalidad como su estética y procurando obtener el máximo confort con la mínima invasión tisular.

Asimismo, en este momento la Odontología digital es ya un presente en toda la Odontología, y también en el ámbito de la Gerodontología. Nos permite desde tomar impresiones digitales con mínimo disconfort para nuestros pacientes mayores hasta prever la finalización de nuestros tratamientos y realizar técnicas de carga inmediata acelerando la puesta en función de las prótesis.

Todo ello, sin duda, con la planificación y realización de tratamientos con la mínima invasión tisular, que parece haberse creado para la Gerodontología. Poco daño, mejor postoperatorio y mayor rapidez de resolución de los procedimientos es igual a mayor satisfacción y menor riesgo para nuestros pacientes mayores. Y esto adquiere todavía mayor relevancia en aquellos con enfermedades sistémicas concomitantes o polimedicaciones y que también solicitan función y estética con el menor riesgo y la mayor rapidez posible.

De esta forma, estética, digitalización y mínima invasión son el presente/futuro del tratamiento dirigido a nuestros pacientes adultos mayores.

 DM.- Respecto al futuro de la Gerodontología, ¿cuáles son los mayores desafíos a los que se enfrenta la especialidad en nuestro país?

Dr. M. del C.P.- España será en las próximas décadas uno de los países más envejecidos de Europa. Ser mayor no debe llevar forzosamente a una peor salud oral. Ser mayor no implica dejar de sonreír. La sonrisa prolonga la vida.

Los odontólogos de hoy y los de los próximos años deberán velar por la salud oral y la sonrisa de nuestros mayores. Adaptar los contenidos curriculares de las universidades y probablemente convertir la Gerodontología en una entidad específica en los mismos son retos que sin duda deberemos ver realizados en los próximos años.

entrevista ENTREVISTA 24 eldentistamoderno noviembre/diciembre 2022
Adaptar los contenidos curriculares de las universidades y probablemente convertir la Gerodontología en una entidad específica en los mismos son retos que sin duda deberemos ver realizados en los próximos años
C M
Y CM MY CY CMY K
25
eldentistamoderno noviembre/diciembre 2022

BARCELONA DENTAL SHOW 2023:

VUELVE LA GRAN CITA TECNOLÓGICA PARA LOS PROFESIONALES DEL SECTOR DENTAL

Barcelona Dental Show – BDS, el gran evento tecnológico y de innovación para odontólogos, ortodoncistas, protésicos, higienistas, estomatólogos y endodoncistas, entre otros profesionales de la salud bucodental, vuelve en su próxima edición del 26 al 28 de enero de 2023 en el CCIB de Barcelona. Durante tres días, BDS2023 dará a conocer las últimas innovaciones, soluciones tecnológicas, materiales y tendencias que marcarán el futuro de la odontología en los próximos años.

Barcelona Dental Show se consolida en su segunda edición como el gran evento tecnológico de referencia en España para los profesionales de la salud bucodental con el objetivo de acercarles toda la innovación y tendencias odontológicas que les

ayuden a afrontar los retos que están transformando el sector: la aceleración de la digitalización, la mejora de la experiencia del paciente o la diferenciación en un mercado cada vez más exigente y de elevada competencia.

En los últimos años, cada vez son más las clínicas dentales que apuestan por la digitalización para impulsar sus negocios. De hecho, la facturación en tecnologías digitales creció un 20% en 2021 respecto al año anterior, mientras que el sector CAD-CAM prevé un crecimiento del 30% respecto a 2020. En este contexto, BDS2023 se alza como el lugar óptimo para desarrollar estas técnicas y asentar conocimientos disruptivos surgidos recientemente en el ámbito de la odontología digital.

eventos 26 eldentistamoderno noviembre/diciembre 2022 BDS2023
Del 26 al 28 de enero de 2023, más de 180 expertos en salud bucodental compartirán sus experiencias, los casos clínicos más disruptivos y las nuevas tendencias que marcarán el futuro de la odontología en el marco de Barcelona Dental Show (BDS2023).

Más de 150 firmas expositoras presentarán sus últimas soluciones en el ámbito de la aparatología dental, instrumental, consumibles, equipamiento, higiene bucal e implantología, así como soluciones digitales para la gestión y comunicación de las clínicas dentales. Firmas como Dentsply Sirona, DESS Dental Smart Solutions, DVD, IPD, Nobel Biocare, BEGO, Corus, Diagnova Medica, Allison AI, IOSFIX, Fresdental, SprintRay, Colgate, Sanhigia, Kavo, Oral-B, Orascoptic, Osteògenos, Ravagnani Dental, Septodont, Vittrea o Zarc, entre muchas otras, ya han confirmado su participación en esta cita única para el sector bucodental.

Congreso Nacional de Odontología Avanzada

Barcelona Dental Show acogerá un año más una nueva edición del Congreso Nacional de Odontología Avanzada, un foro de debate y transferencia de conocimiento e innovación en el que más de 180 expertos en odontología, higiene dental, ortodoncia, endodoncia, implantología o cirugía, entre otras especialidades, compartirán sus casos clínicos más innovadores gracias al uso de nuevas técnicas y herramientas y la implementación del flujo digital, así como su experiencia empresarial en la gestión de la clínica dental.

El Congreso volverá a contar con diferentes agendas para cada profesional y segmento de la industria dental: cirugía e implantes, endodoncia, estética, flujo digital, higiene dental, odontopediatría, ortodoncia, periodoncia y logopedia, así como agendas dedicadas a la gestión y el marketing para la clínica dental. Además, como novedad de este año, se celebrará el Summit de Inteligencia Artificial, en el que expertos en este ámbito compartirán casos prácticos de aplicación de esta tecnología en la práctica odontológica.

En total, más de 50 sesiones de la mano de ponentes como Ana Berlanga, de la Sociedad Española de Periodoncia y Osteointegración (SEPA); Andrés Blanco, profesor de la Universidad de Santiago de Compostela; Antonio Montero, presidente del Colegio de Odontólogos y Estomatólogos de Madrid (COEM); Juan José Segura, catedrático de patología y terapéutica dentales de la Universidad de Sevilla; Laura San Martín, directora y fundadora de SOHO dental; Ruth Pérez, profesora del máster de endodoncia avanzada de la Universidad Europa; Sergio Quaresma, vicepresidente de la Sociedad Portuguesa de Endodoncia; Manuel Miguez, presidente de SEMDeS; Reinhilde Jacobs,

secretaria general de la International Association Dentomaxillofacial Radiology; o la odontopediatra Andreína Pérez, entre otros. BDS – Barcelona Dental Show acogerá también diferentes actividades de networking como el Leadership Summit, un almuerzo con los líderes y expertos del sector; los Advanced Dentistry Awards 2023, unos galardones que reconocen el trabajo, el liderazgo y la transformación de aquellas empresas que apuestan por la innovación y se adaptan a la nueva era de la digitalización; o los talleres Hands-on para que los profesionales del sector puedan conocer de primera mano las tecnologías y técnicas más disruptivas a través de talleres prácticos. 

27 eldentistamoderno noviembre/diciembre 2022

El flujo digital, la Inteligencia Artificial, la cirugía guiada y la salud bucodental centrarán el debate en el Congreso Nacional de Odontología Avanzada
Publirreportaje

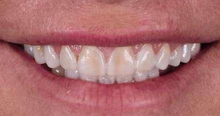
CARILLAS DIGITALMENTE GUIADAS. SELECCIÓN DE UN CASO

Aunque la mayoría de las personas tienen la creencia errónea de que las carillas estéticas son un tratamiento novedoso y actual, en realidad éstas fueron inventadas por el Dr. Charles Pincus en los años 20, coincidiendo el auge de la odontología en Estados Unidos con el paso del cine mudo al sonoro. A partir de ese momento las carillas han ido evolucionando, sobre todo en cuanto a materiales y adhesión. Actualmente damos un salto más en esta evolución y añadimos la tecnología para convertir este tratamiento tan conocido en uno mucho más predecible y estable en el tiempo.

Introducción

Los procesos y protocolos en la odontología han pasado por grandes cambios en los últimos tiempos. Bien sea en el laboratorio o en la clínica dental, la principal preocupación es conseguir flujos de trabajo más predecibles pero que a la vez sean sencillos para poder ser reproducidos por la gran mayoría de los profesionales; haciendo que procedimientos complejos puedan apoyarse en la tecnología para ganar sencillez y calidad en la finalización.

La evolución de la tecnología y la incorporación de dispositivos que facilitan la captación de datos en la clínica dental han hecho posible al paciente acceder de manera más fácil a tratamientos que antes se veían muy complejos.

Asimismo, la tecnología ha mejorado la capacidad de los profesionales y también ha hecho posible que el paciente entienda el procedimiento con mayor claridad, siendo partícipe de todas las decisiones del tratamiento desde un principio, lo que muchas veces se traduce en una mayor responsabilidad del profesional para poder cumplir con las expectativas y los resultados prometidos.

En cuanto a la estética sabemos que no es fácil, ni desde el punto de vista del laboratorio ni desde el clínico.

Seguir una propuesta previa de tratamiento desde un mockup y garantizar que la finalización sea tal cual lo prometido, depende de muchos factores; desde el material que seleccionamos, la técnica de finalización y también la buena y correcta preparación por parte del clínico.

En cuanto a eso, sabemos también que el éxito de las restauraciones entre otras cosas está muy vinculado a la cantidad de preparación (2, 3, 4), procedimiento que no es fácil controlar si no hacemos uso de la tecnología.

Diferentes técnicas de preparación y control de espesores siempre se han discutido, desde el uso de guías de silicona hasta el uso de fresas calibradas sobre el mockup (5, 6).

Actualmente es posible planificar de manera digital y analizar previamente al acto de preparación, toda la cantidad de diente que debe ser removida para conseguir llegar al resultado prometido. El uso de guías de preparación con turbinas especialmente desarrolladas para ello hará posible que lo que se ha planificado en la pantalla, se lleve a cabo en la clínica de una forma fiel.

De esta manera, los resultados estéticos se harán personalizados, decidiendo para cada caso lo mejor en función de cada situación y sus características biológicas, respetando al máximo los tejidos, ventaja que con las técnicas convencionales no era posible realizar.

Aun así, todavía estas técnicas pueden al principio parecer lejanas o condicionadas a unas características concretas de los casos. Dificultades en el control de las preparaciones interproximales o subgingivales pueden hacer pensar que no sea una técnica válida cuando tengamos algún caso que requiera estas características.

caso clínicoODONTOLOGÍA ESTÉTICA 28 eldentistamoderno noviembre/diciembre 2022

Dr. Ricardo Recena

Técnico Superior en Prótesis Dental

Licenciado en Odontología.

Máster en Rehabilitación Oral e Implantes.

Digital Smile Design Certified Member.

Investigador Tecnología CAD-CAM.

Licenciada en Odontología por la Universidad Europea de Madrid (UEM).

Especialista en Periodoncia por el departamento de biomateriales/Handicap Göteborg University Sweden and Plenido Dental School Barcelona.

Especialista en Odontología Estética por la UCM.

Certificada en Digital Smile Design (DSD).

Certificada en la Técnica Invisalign.

RGD Viax Europe Dental Technologies.

Por ese motivo, en este artículo, presentamos un caso que reúne estas dificultades añadidas pero que aún así se beneficia del uso de esta tecnología para su ejecución.

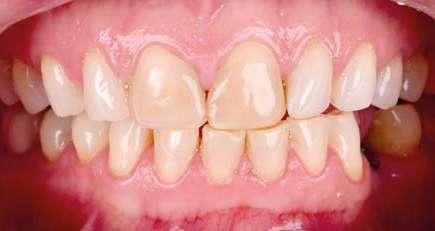
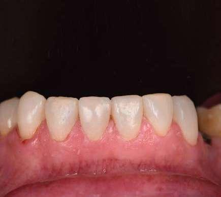
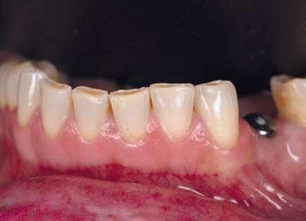
Presentación del caso clínico

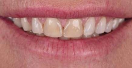
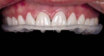
A continuación, presentamos el caso clínico de una paciente con unos dientes mal posicionados y con una coloración acentuada sobre todo a nivel de los centrales que además presentaban extensas restauraciones antiguas de composite en interproximal cerrando diastemas que originalmente presentaba la paciente. Estos dientes necesitarán tener una preparación un poco más subgingival y también removido previamente todo el composite antiguo con el objetivo de camuflar este cambio de color y evitar zonas visiblemente no estéticas.

Además, lo combinaremos con unas carillas inyectadas inferiores también planificadas digitalmente y sin tallado, para crear una armonía y equilibrio con la parte superior.

En estos casos donde tenemos que camuflar sustratos oscuros o los dientes tienen una malposición severa haremos una preparación previa de los márgenes y zonas especialmente retentivas para mejorar la inserción de nuestras carillas. Por tanto, podemos beneficiarnos de las ventajas de la planificación digital, en cualquier caso, siendo necesario en los casos más complejos una preparación previa.

Máster de investigación en Ciencias Odontológicas.

Máster de Cirugía, Implantes y Prótesis sobre Implantes.

Curso de Odontología Digital.

Odontólogo de la Universidad Central de Venezuela (UCV).

Profesor de Radiología e Imagen Digital UCV. Máster en Educación Universitaria de la UEM.

1 Inicio.

29 eldentistamoderno noviembre/diciembre 2022

Dra. Patricia Elías Ortiz Dra. Marta Arjona Vázquez Odontóloga por la Universidad de Granada y protésica dental. Dr. Carlos Eduardo Toro Chacón

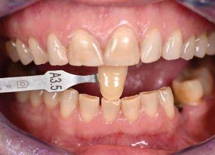
Como podemos observar la paciente tenía un sustrato muy desfavorable, con un color aproximado de A3,5 Vita.

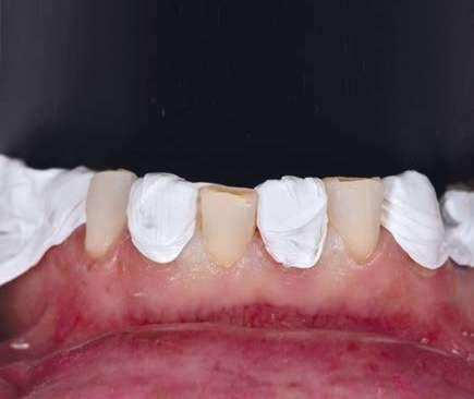
Para la arcada inferior se optó por unas carillas inyectadas, completamente respetuosas con los tejidos, que nos permiten mejorar la apariencia de los dientes y dar así una mayor armonía con la parte superior. Al ser también planificadas digitalmente aseguramos que lo que colocamos en boca sea una fiel reproducción del diseño previamente aceptado por el paciente y el profesional.

caso clínicoODONTOLOGÍA ESTÉTICA 30 eldentistamoderno noviembre/diciembre 2022
2
4
7
3
5 6
Mockup.

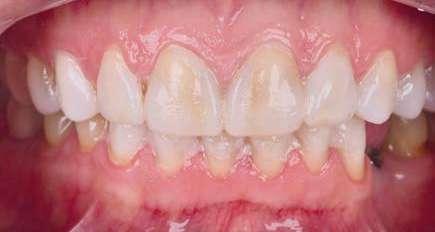
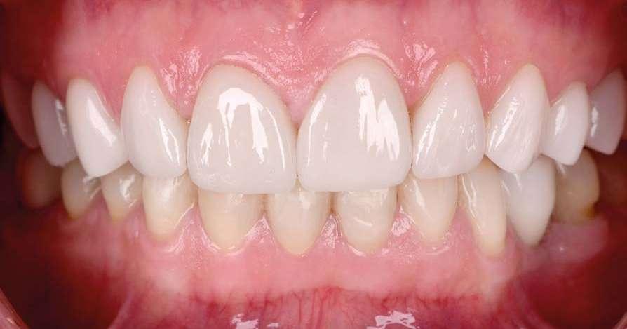
En la arcada superior por el contrario se decidió poner unas carillas de disilicato para poder cubrir las expectativas de la paciente y ajustar el color al que ella deseaba, bajando casi en 5 tonos el color final. Se planificaron preparaciones digitales conservadoras.

La tecnología digital permite lograr el equilibrio de espesores ideal para cada caso, así como un eje de inserción adecuado. Todo esto permite dar una garantía de longevidad a las restauraciones planificadas.

En este caso se realizó una preparación previa a la preparación guiada en los márgenes y zonas interproximales, para camuflar el sustrato y dar una correcta inserción; y posteriormente se utilizaron unas guías de tallado diseñadas digitalmente para obtener los resultados precisos y predecibles que requería el caso.

31 eldentistamoderno noviembre/diciembre 2022
8 9 10 11
12 13 14

La preparación previa junto a la preparación guiada, resultaron en un equilibrio ideal para los espesores mínimos que requería el caso. Se realizó una prueba en seco para valorar el ajuste final de las restauraciones.

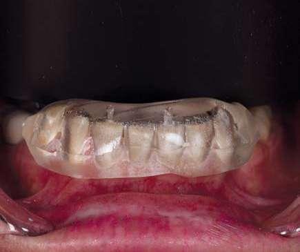
Para cementar las carillas y evitar movimientos no controlados y una incorrecta cementación, utilizaremos una guía de posicionamiento simultáneo, esta guía no es de cementación en bloque ya que las carillas están perfectamente individualizadas. Únicamente sirven para llevar a la boca del paciente las carillas y cementarlas de una forma 100% segura, evitando el estrés que genera un posible movimiento durante la cementación y acelerando los tiempos de trabajo.

Consiguiendo así una perfecta adaptación de los márgenes de las restauraciones y la sensación de naturalidad e integración que se observa en la imagen final.

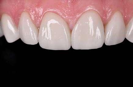
Como se puede observar en la imagen comparativa, la planificación se reproduce de una forma fiel a lo que se había planificado y aceptado por la paciente. Por tanto, no es una técnica susceptible al operador, que se realiza controlando mucho mejor los tiempos y los resultados obtenidos.

caso clínicoODONTOLOGÍA ESTÉTICA 32 eldentistamoderno noviembre/diciembre 2022
15 16 17 18 19 20 21 Preparación. Prueba en seco. Ajuste. Final.

¡Obteniendo un caso espectacular en apenas un par de citas!

Y pudiendo, gracias al uso de este tipo de tecnología, controlar las expectativas y resultados desde el principio hasta el final del caso.

El momento más esperado es el de la celebración por parte de la paciente y del equipo, al conseguir el resultado exacto que se había prometido al principio por medio del mockup y que determinará la confianza que nuestros pacientes depositarán en nosotros cuando les planteemos este tipo de tratamientos. 

33
2022 22 23 24 25
eldentistamoderno noviembre/diciembre
26
27

Resumen

Aunque la mayoría de las personas tienen la creencia errónea de que las carillas estéticas son un tratamiento novedoso y actual, en realidad estas fueron inventadas por el Dr. Charles Pincus en los años 20, coincidiendo el auge de la odontología en Estados Unidos con el paso del cine mudo al sonoro. (1)

Bibliografía

1. Gaceta Dental. Núm.324, mayo 2020.

2. Horn HR. Porcelain laminate veneers bonded to etched enamel. Dent Clin North Am 1983; 27:671684.

3. Calamia JR. Etched porcelain veneers: The current state of the art. Quintessence Int 1985;16: 5-12.

A partir de ese momento las carillas han ido evolucionando, sobre todo en cuanto a materiales y adhesión.

Actualmente damos un salto más en esta evolución y añadimos la tecnología para convertir este tratamiento tan conocido en un tratamiento mucho más predecible y estable en el tiempo.

4. Fradeani MJ. Six-year follow-up with Empress veneers. Int J Periodontics Restorative Dent 1998; 18:217-225.

5. Coachman C, Gurel G, Calamita M, Morimoto S, Paolucci B. The influence of tooth color on preparation design for laminate veneers from a minimally invasive perspective:

case report. Int J Periodontics Restorative Dent. 2014; 34:453-459.

6. Magne P., Use of additive wax-up and direct intraoral mock-up for enamel preservation with porcelain laminate veneers Eur J Esthet Dent 2006;1:10–19.

caso clínicoODONTOLOGÍA ESTÉTICA 34 el
dentistamoderno noviembre/diciembre 2022
28 29

PROTOCOLOS DE AUTOTRASPLANTE POSEXTRACCIÓN: ¿INMEDIATOS

O DIFERIDOS?

El autotrasplante dental se está convirtiendo en una opción predecible en la odontología restauradora contemporánea. Sin embargo, las condiciones del alvéolo receptor pueden variar notablemente según el momento de la pérdida del diente y el tipo de diente a extraer. El objetivo de este artículo es presentar protocolos de autotrasplante posextracción basados en la planificación digital y describir los criterios de selección para cada una de las diversas opciones.

Introducción

El autotrasplante consiste en la extracción de un diente de su posición original y su posterior colocación en una posición distinta de la arcada dentaria del mismo paciente (Natiella y cols. 1970). Para realizar este procedimiento quirúrgico se pueden utilizar dientes donantes que estén erupcionados, dientes impactados o parcialmente impactados, independientemente del grado de formación radicular (Plotino y cols. 2020). Además, el autotrasplante puede realizarse tanto en situaciones posextracción inmediata como en alvéolos que hayan sido previamente preparados de forma quirúrgica (Abella y cols. 2021a).

Un diente autotrasplantado, a diferencia de un implante osteointegrado, conserva el ligamento periodontal (LPD), preserva el hueso adyacente y, por tanto, presenta una mayor resistencia a las cargas oclusales. La preservación del LPD del diente autotrasplantado permite un crecimiento esquelético continuo y consigue una estética notable de forma sencilla (Tsukiboshi 2002; Park y cols. 2010; Kim y cols. 2015).

Lógicamente, el primer requisito para poder realizar un autotrasplante es contar con un diente donante y, a poder ser, con una morfología coronal y radicular lo más favorable posible. A nivel general, esta técnica está indicada en las siguientes situaciones: 

En pérdidas dentales como consecuencia de un pronóstico periodontal y/o endorestaurador desfavorable o muy pobre (Xia y cols. 2020). 

En agenesias dentales (Hoss y cols. 2021).

En dientes ausentes de forma congénita, pérdidas prematuras o traumáticas, anquilosis o determinadas malformaciones anatómicas que impiden su viabilidad a largo plazo (Jakobsen y cols. 2018). 

En dientes impactados o erupcionados en posición ectópica (Grisar y cols. 2018). 

En determinadas reabsorciones radiculares muy avanzadas (Almpani y cols. 2015). 

En fracturas complicadas (por ejemplo, fractura vertical radicular) (Tsurumachi y cols. 2007). 

En dientes perdidos por tumor o por razones iatrogénicas (Rohof y cols. 2018). 

En dientes supernumerarios en niños con labio y/o paladar fisurado (Demir y cols. 2008).

En la década de 1950, la tasa de éxito del autotrasplante apenas alcanzaba el 50% (Miller 1950). Esto se debía principalmente a la falta de conocimiento acerca del comportamiento biológico del LPD, así como al gran número de reabsorciones que se producían (Apfel 1950). Sin embargo, a partir de la década de 1990, numerosos estudios empezaron a examinar la cicatrización de los tejidos periodontales y a conocer el mecanismo de acción de las reabsorciones, lo que condujo a un rápido aumento del éxito del autotrasplante y, en consecuencia, a un renovado interés clínico que perdura hasta la actualidad (Lundberg e Isaksson 1996; Mejàre y cols. 2004). Los principales avances introducidos por Andreasen y cols. (1990) fueron el cambio del tipo de ferulización (de rígida a semirrígida) y la reducción del tiempo extraoral.

caso clínicoAUTOTRASPLANTE DENTAL 36 eldentistamoderno noviembre/diciembre 2022
u Contacto Francesc Abella franabella@uic.es Artículo cedido por SEPA

SEPA-DM

La principal ventaja de un diente donante inmaduro es que tiene un aporte sanguíneo notable, así como diferentes tipos de células madre que le aportan un potencial regenerativo capaz de estimular la revascularización pulpar postrasplante (Plotino y cols. 2021). La revascularización pulpar permite el desarrollo continuo de la raíz, preservar la vitalidad del diente y, al mismo tiempo, inducir un crecimiento normal del hueso alveolar (Tsukiboshi y cols. 2019). Debido a estas ventajas y a la alta tasa de éxito en dientes inmaduros (alrededor del 90%), actualmente el autotrasplante es considerado la opción de reemplazo dental más conservadora, fisiológica y funcional (Machado y cols. 2016), especialmente en pacientes jóvenes (Atala-Acevedo y cols. 2017). Recientemente, varios autores también han reportado altas tasas de éxito en dientes maduros (ápice cerrado); en consecuencia, el autotrasplante se está convirtiendo en una opción predecible en la odontología restauradora contemporánea (Bae y cols. 2010; Sugai y cols. 2010; Yu y cols. 2017).

Ante un procedimiento de autotrasplante, el clínico debe tener en cuenta que los principios biológicos y la cicatrización de los tejidos son muy similares a los que se producen en dientes avulsionados tras ser reimplantados. Las lesiones mecánicas/físicas que se pueden producir durante la extracción del diente o los continuos ajustes en el alvéolo receptor pueden dañar el LPD del diente donante y, en consecuencia, provocar una reabsorción externa por reemplazo (sustitución).

Actualmente, estas complicaciones se han solventado satisfactoriamente gracias a los avances en las técnicas diagnósticas y quirúrgicas, y, en particular, a los prototipos tridimensionales (3D) (réplica del diente donante) y a las diferentes férulas impresas o fresadas (Lee y cols. 2001; Strbac y cols. 2016; Anssari Moin y cols. 2017). La planificación digital no solamente permite seleccionar el diente donante más adecuado acorde a la morfología del alvéolo, sino que también permite saber la posición 3D ideal y las dimensiones requeridas en el alvéolo durante la cirugía. Además, el uso de réplicas ayuda a reducir sustancialmente el tiempo extraoral del diente donante, así como la posible lesión del mismo durante los procedimientos de ajuste en el lecho receptor (Strbac y cols. 2020). Sin embargo, según el momento de la pérdida del diente afectado, las condiciones del lecho receptor pueden variar considerablemente. En los casos de autotrasplante a un alvéolo de extracción fresco, por lo general, suele haber un hueso adecuado (Kafourou y cols. 2017; Verweij y cols. 2017). En cambio, pacientes con pérdida temprana de dientes, presencia de dientes temporales con agenesia de los permanentes, o que presentan dientes perdidos congénitamente, el lecho receptor requiere de la creación quirúrgica total del lecho (Bauss y cols. 2008). Al no existir un diente a extraer en la zona receptora, tampoco existe ningún tipo de LPD, por lo que el éxito del procedimiento dependerá exclusivamente de la viabilidad de las células del LPD

37 eldentistamoderno noviembre/diciembre 2022

Francesc Abella Práctica privada especializada en odontología conservadora. Departamento de Endodoncia y Restauradora Dental, Universidad Internacional de Cataluña (UIC Barcelona). Manuel Cabezas Práctica privada especializada en periodoncia, cirugía oral, implantes y restauradora. Departamento de Periodoncia, Universidad Internacional de Cataluña (UIC Barcelona). Ferrán Ribas Práctica privada especializada en cirugía oral e implantes, Barcelona. Óscar Mateo Práctica privada especializada en cirugía oral e implantes, Barcelona. Entrevista Dr. Abella

del diente donante (Yu y cols. 2017). Los autotrasplantes en alvéolos creados quirúrgicamente presentan una tasa media de éxito del 94%; porcentaje muy similar al de posextracción inmediata (Bauss y cols. 2004; Bauss y cols. 2008; Yu y cols. 2017). Además, hay que tener en cuenta que cuando los dientes donantes son posicionados en zonas receptoras con poco espacio en sentido vestíbulo-lingual/palatino, las raíces pueden sobresalir a través de una dehiscencia ósea, provocando la reabsorción del reborde alveolar (Cross y cols. 2013). Por tanto, una anchura ósea insuficiente es un factor pronóstico que influye negativamente en el éxito del tratamiento (Aoyama y cols. 2012). El objetivo de este artículo es presentar unos protocolos de autotrasplante posextracción basados en la planificación digital y describir los criterios de selección para cada una de las diversas opciones de tratamiento.

Modalidades de autotrasplante

En los últimos años, el autotrasplante de terceros molares tanto inmaduros como maduros se ha convertido en una alternativa totalmente viable a los implantes (Zufía y cols. 2017; Zufía y cols. 2020). Sin embargo, existe información muy limitada acerca del momento idóneo para realizar el autotrasplante, especialmente en el paciente adulto. La mayoría de los estudios describen la técnica quirúrgica convencional para autotrasplantar un diente en un sitio de extracción fresco. No obstante, situaciones de extracción previa o aplasia de dientes con regeneración parcial o completa del alvéolo obligan al clínico a preparar un nuevo alvéolo antes de autotrasplantar. Antes de la explicación de estos protocolos, vamos a definir las diferentes modalidades de tratamiento del autotrasplante.

A partir de la extensa literatura implantológica, los autores de este artículo sugerimos la siguiente clasificación siguiendo los principales eventos histológicos:

Autotrasplante inmediato: cualquier diente autotrasplantado colocado en un alvéolo de extracción fresco inmediatamente después de la extracción del diente.

Autotrasplante temprano: cualquier diente autotrasplantado colocado en un alvéolo de extracción a las 4-8 semanas.

Autotrasplante diferido: cualquier diente autotrasplantado colocado en un alvéolo de extracción a las 12-16 semanas.

Autotrasplante tardío: cualquier diente autotrasplantado colocado al menos 6 meses después de la extracción del diente, o en alvéolos en que la modificación quirúrgica sea prácticamente total.

Planificación digital

Uno de los prerrequisitos básicos para un autotrasplante exitoso es un sitio receptor apropiado (Shahbazian y cols. 2013), cuyas condiciones varían según el momento de la pérdida del diente y el tipo de diente a extraer (por ejemplo, diente con una fractura vertical radicular). Por tanto, se demandan diferentes técnicas quirúrgicas en función de las diferentes condiciones del alvéolo receptor.

Además de valorar los antecedentes médicos y factores clínicos del paciente, el primer paso consistirá en realizar un exhaustivo análisis radiológico del diente que se va a extraer y evaluar todos los detalles de la anatomía del sitio receptor. En este sentido, es altamente aconsejable realizar previamente una tomografía computarizada de haz cónico (TCHC) de volumen limitado (Strbac y cols. 2016). A partir de las imágenes 3D obtenidas de la TCHC, el clínico podrá evaluar en detalle las principales estructuras anatómicas involucradas, elaborar un adecuado plan de tratamiento, y diseñar diferentes modelos quirúrgicos como réplicas y férulas guiadas 3D (Abella y cols. 2021a). Mediante los diferentes cortes de la TCHC, el clínico podrá realizar diferentes mediciones como el volumen de la corona anatómica, la longitud de la raíz y la dimensión cervical del diente donante, y así poder compararlo con la altura y el ancho del hueso del sitio receptor.

En este punto, estamos listos para iniciar la planificación quirúrgica virtual. Inicialmente, los archivos DICOM (Digital Imaging and Communications in Medicine) generados a partir de la TCHC se importarán a un software de planificación. El análisis de esta información nos permitirá medir con exactitud el sitio receptor y seleccionar el diente donante más adecuado para llevar a cabo el autotrasplante. Las imágenes del diente donante serán segmentadas de forma virtual y se almacenarán como archivos estereolitográficos (STL). De manera similar a la planificación virtual de los implantes, se definirá la angulación y la rotación más adecuada del diente donante. Posteriormente, se seleccionará la posición 3D idónea del diente donante en relación con el espacio anatómico y las estructuras dentales adyacentes. Dependiendo del caso, el clínico puede incluso realizar ajustes virtuales, como por ejemplo

caso clínicoAUTOTRASPLANTE DENTAL 38 eldentistamoderno noviembre/diciembre 2022

realizar una resección radicular (apicectomía) digital del diente donante para evitar complicaciones en el tratamiento endodóntico y/o minimizar la osteotomía a realizar en el alvéolo receptor. El siguiente paso consistirá en diseñar una férula guiada para definir la posición definitiva del diente donante en el sitio receptor. Según el grado de osteotomía a realizar en el lecho receptor, en algunos casos se deberá incluso diseñar más de una guía para favorecer el paso de diferentes fresas de implantes. Algunos autores, como Anssari Moin y cols. (2017) y Abella y cols. (2021b), recomiendan la utilización de osteotomos customizados (forma idéntica al diente donante) para realizar las últimas

modificaciones en el alvéolo receptor. Finalmente, el diente donante segmentado, férulas guiadas o simplemente de posicionamiento se exportarán como archivos STL y se procederá a su impresión o fresado (materiales biocompatibles). Dos de los requisitos fundamentales para lograr una cicatrización óptima después de un autotrasplante son la transferencia de un diente donante con un LPD viable (Plotino y cols. 2020) y el reposicionamiento ajustado del colgajo en la zona cervical del mismo (Tsukiboshi 2002). El diente debe trasplantarse de manera que el límite amelocementario se ubique a 1-2 mm coronal a la cresta del hueso alveolar (Almpani y cols. 2015). Ver flujo digital completo en la Figura 1.

39 eldentistamoderno noviembre/diciembre 2022

Figura 1. Autotrasplante inmediato posextracción. Paciente varón de 27 años que presenta fractura vertical radicular en raíz mesial de 2.6. (1-5) Secuencia de planificación digital de un autotrasplante inmediato (alvéolo fresco posextracción). (6-7) Diseño y confección de réplica y férula de reposición. (8) Imágenes clínicas de réplica y autotrasplante en alvéolo receptor. Tiempo extraoral: 30 segundos. (9) Control radiográfico inmediato hasta los 3 años. 1

Figura 2. Autotrasplante inmediato posextracción. Paciente mujer de 55 años, presenta 4.7 no restaurable por lesión cariosa de gran extensión. a) Situación clínica inicial; b-d) Aspecto radiográfico inicial de la zona; e) Extracción del segundo molar inferior derecho (no restaurable); f) Detalle del alvéolo posextracción.

A partir de la planificación digital y los requisitos mencionados anteriormente, el clínico puede elegir o encontrar diferentes enfoques para el autotrasplante.

Autotrasplante inmediato o en alvéolos de extracción frescos (Figuras 2 y 3)

El diente donante se coloca generalmente en un alvéolo creado inmediatamente después de la extracción de un diente no retenible. Este protocolo de colocación inmediata presenta varias ventajas como

no necesitar levantar ningún colgajo para acceder al hueso receptor y presentar un menor tiempo total de tratamiento (Chung y cols. 2014). En alvéolos de extracción frescos, generalmente se obtiene una profundidad ósea suficiente después de realizar unos simples ajustes quirúrgicos. Para la modificación del lecho receptor, se pueden usar fresas refrigeradas internamente con una pieza de mano de baja velocidad o insertos de piezocirugía con el objetivo de producir el menor daño térmico posible (Abella y cols. 2014).

caso
AUTOTRASPLANTE DENTAL 40 eldentistamoderno noviembre/diciembre 2022
clínico
2a 2b 2c 2d 2e 2f

Una posible desventaja del autotrasplante inmediato podría ser una discrepancia excesiva entre la superficie del diente donante y la pared del alvéolo. La aproximación cervical entre la superficie de la raíz del diente trasplantado y el hueso es un factor clave en la formación de hueso, ya que el tejido óseo debajo de la porción cervical es una herida cerrada con menor probabilidad de infección y una mayor tendencia a una curación adecuada sin complicaciones (Bae y cols. 2010).

Autotrasplante temprano

La colocación temprana de un autotrasplante con cicatrización de tejidos blandos después de una extracción requiere aproximadamente de 4 a 8 semanas. Durante este tiempo, se produce una curación espontánea de los tejidos blandos, proporcionando un cierre del alvéolo aumentado 3-5 mm de mucosa queratinizada adicional. El bundle bone se reabsorbe delimitando la cavidad de la extracción. En corticales vestibulares y/o palatinas que tengan

41 eldentistamoderno noviembre/diciembre 2022

Figura 3. Autotrasplante inmediato posextracción (continuación). a) Réplica impresa en 3D colocada en el alvéolo receptor (4.7) tras leves modificaciones quirúrgicas; b) Extracción atraumática del tercer molar inferior derecho (4.8) y posterior colocación en su nuevo alvéolo. Ferulización semirrígida mediante sutura. Tiempo extraoral: 2 minutos; c) Aspecto radiográfico inmediato tras el trasplante; d) Tratamiento endodóntico del primer molar inferior derecho por pulpitis irreversible sintomática; e) Paredes remanentes del primer molar inferior tras acceso cameral; f) Diseño de las preparaciones realizadas tanto en el diente trasplantado como en el primer molar inferior; g) Prueba (try in) de las restauraciones indirectas; h) Cementación adhesiva; i) Detalles de las restauraciones indirectas fabricadas; j-k) Aspecto clínico y radiográfico tras 4 años del autotrasplante.

3a
3b 3c 3d 3e 3f 3g 3h 3i 3j 3k

Figura 4. Autotrasplante diferido en un alvéolo de extracción previa. Paciente mujer de 21 años, presenta fractura vertical radicular en 3.6 que cursa con dolor lacerante y absceso periapical además de pérdida ósea asociada. a) Situación inicial donde se aprecia la extensión de la pérdida ósea asociada el primer molar inferior izquierdo; b) Aspecto inicial. Obsérvese el recorrido transversal de la fractura vertical radicular; c-d) Aspecto clínico y radiográfico de la cicatrización del alvéolo a las 14 semanas; e) Corte de la tomografía computarizada de haz cónico (TCHC) realizada a las 14 semanas donde se aprecia una osificación parcial; f-i) Simulación virtual del autotrasplante del tercer molar inferior (3.8) a la zona edéntula (3.6); j) Impresión 3D en diferentes materiales tanto del diente donante como de la férula de verificación.

una dehiscencia, el remodelado óseo será mayor produciéndose un engrosamiento espontáneo de los tejidos blandos (Buser y cols. 2017). Desde un punto de vista clínico, este enfoque terapéutico puede usarse para evitar procedimientos de aumento de tejido blando simultáneos o posteriores al autotrasplante, y en casos en que el diente afectado presente un proceso infeccioso agudo o un absceso periapical crónico (presencia de trayecto fistuloso) en el momento de la extracción. A las 4-8 semanas

tenemos un lecho receptor con un riesgo bacteriano disminuido, una neoformación ósea en la porción apical del alvéolo y una vascularización aumentada en el colgajo (Buser y cols. 2017). En algunos casos, esto permite una preparación más sencilla del lecho receptor en comparación con un alvéolo fresco. Chappuis y cols. (2015) utilizaron imágenes de TCHC para examinar la interacción entre los cambios dimensionales de los tejidos blandos y la anatomía del hueso subyacente en la zona estética a las 8 semanas

caso
AUTOTRASPLANTE DENTAL 42 eldentistamoderno noviembre/diciembre 2022
clínico
4a 4b 4c 4d 4e 4f 4g 4h 4i 4j

de la extracción. Curiosamente, los fenotipos finos mostraron un engrosamiento de los tejidos blandos 7 veces mayor al inicial tras un periodo de 8 semanas de curación, mientras que en los fenotipos gruesos la dimensión del tejido blando permaneció sin cambios.

Autotrasplante diferido (Figuras 4 y 5) Esta técnica de autotrasplante puede recomendarse en pacientes que presenten una lesión periapical extensa, que imposibilite la colocación del diente donante en una

correcta posición 3D y con una estabilidad primaria suficiente. Numerosos estudios han demostrado que la tasa de éxito es superior cuando el diente donante presenta buena estabilidad inicial (Kim y cols. 2005; Bae y cols. 2010; Almpani y cols. 2015). Una alternativa para ganar estabilidad primaria, tal y como proponen Zufía y cols. (2017), es realizar el autotrasplante del diente donante con la porción de cortical vestibular adherida asociada al diente donante. Sin embargo, es una técnica altamente sensible y que no siempre se puede llevar a cabo.

Figura 5.

Autotrasplante diferido en un alvéolo de extracción previa (continuación). a-b) Preparación del alvéolo y verificación mediante el uso de la réplica 3D y las férulas impresas; c) Trasplante del tercer molar inferior en su nuevo alvéolo ayudado de una férula de posicionamiento. Tiempo extraoral: 30 segundos; d) Ferulización semirrígida (4 semanas) mediante alambre y resina fluida; e) Tratamiento endodóntico realizado a las 3 semanas postrasplante; f-g) Aspecto inmediato tras colocación de restauración de disilicato de litio a las 8 semanas; h) Radiografía periapical un año tras finalización del tratamiento; i) Aspecto clínico al año. Obsérvese el estado tan favorable de los tejidos blandos alrededor del diente trasplantado.

43 eldentistamoderno noviembre/diciembre 2022

5a 5b 5c 5d 5e 5f 5g 5i 5h

Cabe señalar que este periodo de cicatrización alveolar ligeramente prolongado permite una mayor formación de hueso nuevo en el área apical. Por lo tanto, este tipo de procedimiento es ideal para el reemplazo de dientes multirradiculares.

6a

eldentistamoderno noviembre/diciembre 2022

Autotrasplantes tardíos (Figuras 6 y 7) Existen algunas indicaciones para la colocación tardía de un autotrasplante, y estas se pueden clasificar según factores específicos del paciente o del sitio. Los factores específicos del paciente incluyen mujeres

caso
AUTOTRASPLANTE DENTAL
clínico
44
6.5; g-h) Diseño
j-k)
6b 6c 6d 6e 6f 6g 6h 6i 6j 6k
Figura 6. Autotrasplante tardío en alvéolo creado quirúrgicamente. Paciente mujer de 30 años, presenta necrosis pulpar, rizólisis parcial y movilidad tipo II en 6.5 con agenesia de 2.5. a-c) Tras un diagnóstico exhaustivo se planifica un autotrasplante simultáneo a una elevación de
seno (ventana lateral) para conseguir un aumento en el volumen óseo residual y evitar una resección radicular excesiva del diente donante que dejara la relación corono-radicular desfavorable; d-f) Análisis anatómico de 2.8 (diente donante), análisis morfológico del seno antral y dimensiones de
digital y confección de réplica y férula de reposición/verificación; i) Fractura vertical radicular de diente afectado (6.5);
Resolución de complicación intraquirúrgica durante la elevación de la membrana de Schneider.

de dientes, o en escenarios donde no exista suficiente espacio mesio-distal en el área receptora y se requiera de tratamiento ortodóncico previo. La principal diferencia y/o problema potencial respecto al autotrasplante inmediato es que el éxito del

Figura 7. Autotrasplante tardío en alvéolo creado quirúrgicamente (continuación).

45 eldentistamoderno noviembre/diciembre 2022

a)
c)
embarazadas y pacientes que no son candidatos para realizar una cirugía en un momento determinado. Las factores específicos del sitio incluyen pacientes con afecciones que cursen con agenesias congénitas, situaciones donde se produzca una pérdida prematura 7a 7b 7c 7e 7d 7f 7g 7h
Imagen intraquirúrgica del procedimiento de elevación de seno; b) Prueba de inserción de réplica en neoalvéolo. Tiempo extraoral: 5 minutos;
Inserción del diente donante en la zona receptora; d-e) Posoperatorio inmediato; f) Cementación adhesiva de restauración indirecta de 2.5 a las 12 semanas; g-h) Aspecto clínico y radiológico a 3 años. Obsérvese el relleno óseo radiográfico compatible con la estabilidad del procedimiento regenerativo sinusal.

autotrasplante tardío —lecho creado quirúrgicamente— recae exclusivamente en la supervivencia del LPD del diente donante. Al no existir diente desahuciado a extraer, tampoco existe ningún tipo de LPD en la zona receptora. Esta modalidad de autotrasplante presenta una tasa éxito media del 94,3% (Bauss y cols. 2004; Bauss y cols. 2008; Yu y cols. 2017). No obstante, es importante apuntar que estos resultados están obtenidos a partir de estudios con un bajo nivel de evidencia científica, por lo que son necesarios ensayos clínicos prospectivos y aleatorizados para acabar de confirmar estos excelentes resultados. Según nuestro conocimiento, los únicos 3 estudios (Bauss y cols. 2004; Bauss y cols. 2008; Yu y cols. 2017) que han evaluado autotrasplantes en alvéolos creados quirúrgicamente coinciden en que utilizaron únicamente terceros molares como dientes donantes. Debido a que gran parte de la literatura confirma que los premolares tienen mayor porcentaje de éxito como dientes donantes, sería interesante también utilizarlos en alvéolos creados quirúrgicamente.

Discusión

Actualmente, el autotrasplante dental es una opción de tratamiento que el clínico debe tener en mente ante cualquier situación de pérdida dental por traumatismo, de dientes no restaurables por caries severas o reabsorciones, o de dientes severamente comprometidos a nivel periodontal o endodóntico (Park y cols. 2010; Aoyama y cols. 2012). Existe un consenso generalizado en que la extracción del diente donante es la parte más crítica de la técnica, pues la preservación de la mayor cantidad de células del LPD influye de forma directa en la supervivencia del diente autotrasplantado (Tsukiboshi y cols. 2019). En la medida de lo posible, el clínico debe intentar realizar una extracción lo más atraumática posible del diente donante, mantener el diente fuera de su alvéolo el menor tiempo posible, y trasplantarlo en el alvéolo receptor evitando una fricción excesiva con las paredes óseas (Plotino y cols. 2020).

Aparte de los factores mencionados, la morfología coronal y radicular del diente donante es un elemento clave en el éxito del autotrasplante. Idealmente, la morfología deberá ser lo más sencilla posible, buscando dientes fusionados a nivel radicular, con formas cónicas y con poca curvatura. Según Riad Deglow y cols. (2022), cuando se utiliza este tipo de dientes donantes, el procedimiento es más sencillo desde un punto de vista quirúrgico y disminuyen las posibilidades de dañar el LPD. Es por ello que es importante realizar un adecuado estudio radiográfi-

co previo, ya que gran parte de los posibles dientes donantes en adultos (terceros molares) presentan una anatomía algo más compleja que los dientes donantes en pacientes en crecimiento (premolares). En este sentido, la morfología del alvéolo receptor tras su modificación es otro factor que valorar. El alvéolo receptor debe tener suficiente espacio de soporte para lograr una buena estabilidad del trasplante y, al mismo tiempo, evitar futuras reabsorciones. Ayoma y cols. (2012) observaron que los dientes con raíces muy divergentes dificultan tanto la extracción atraumática como la preparación del alvéolo receptor. Estos mismos autores encontraron que la edad del paciente también puede influir en el resultado final del procedimiento. Los pacientes de mayor edad suelen tener una mayor mineralización ósea, lo que dificulta la extracción del diente donante y disminuye, en parte, su posterior estabilidad primaria. Como hemos comentado en el transcurso de este artículo, la técnica de autotrasplante se realiza normalmente en alvéolos modificados quirúrgicamente posextracción inmediata. Sin embargo, en algunas situaciones el clínico se puede plantear hacer un autotrasplante en una zona edéntula. La principal diferencia y/o posible problema respecto al autotrasplante inmediato es que la supervivencia del autotrasplante diferido o totalmente creado de forma quirúrgica se basa en la viabilidad de las células del LPD del diente donante. A pesar de que su éxito es aproximadamente del 94% (Bauss y cols. 2004; Bauss y cols. 2008; Yu y cols. 2017), los resultados de esta técnica están obtenidos a partir de estudios que presentan un bajo nivel de evidencia científica. Son necesarios estudios futuros prospectivos y aleatorizados para acabar de confirmar estos prometedores resultados.

En 2017, Yu y cols. realizaron 36 autotrasplantes de terceros molares con desarrollo radicular completo, de los cuales 21 fueron realizados simultáneamente con un injerto óseo. En un periodo medio de seguimiento de 10 años, estos autores obtuvieron un éxito del 88,9%, siendo las muestras con injerto óseo las que presentaron un mayor porcentaje de éxito (95,2%).

Este porcentaje es ligeramente inferior al obtenido por Bauss y cols. (2004, 2008), y podría deberse al hecho de usar únicamente dientes con desarrollo radicular completo y al largo periodo de observación realizado.

Otro factor que podría haber influido es la edad de los pacientes, ya que Yu y cols. (2017) reportaron una edad media de 33,1 años, siendo significativamente mayor que la obtenida por los estudios de Bauss y cols. (2004, 2008), 17,7 años y 18,05 años respectivamente.

caso clínicoAUTOTRASPLANTE DENTAL 46 eldentistamoderno noviembre/diciembre 2022

Actualmente, varios estudios han demostrado que la adquisición de datos 3D, la planificación digital mediante férulas guiadas y la impresión 3D de diferentes elementos son pasos muy útiles para lograr un tratamiento más predecible (Plotino y cols. 2020; Abella y cols. 2021a; Abella y cols. 2021b). Sin embargo, ninguno de los estudios realizados en alvéolos preparados quirúrgicamente utilizó ningún elemento 3D o guía, por lo que sus resultados podrían ser aún mejores (Bauss y cols. 2004; Bauss y cols. 2008; Yu y cols. 2017).

Conclusiones

A pesar de las limitaciones existentes en estos protocolos, se pueden extraer las siguientes conclusiones:

1. El protocolo de autotrasplante en alvéolos de extracción frescos ofrece ventajas en cuanto a cambios de tejidos blandos y duros, en comparación con el protocolo de alvéolos creados quirúrgicamente.

2. La planificación de la posición 3D ideal del diente donante nos permite minimizar los riesgos quirúrgicos, reducir el tiempo extraoral y mejorar el pronóstico a largo plazo.

3. Dada la escasez y la calidad de la evidencia científica disponible con respecto a los protocolos de colocación de autotrasplantes después de una extracción, se necesitan ensayos clínicos aleatorizados, de alta calidad y bien diseñados para brindar recomendaciones clínicas generales. 

Bibliografía

Abella F, de Ribot J, Doria G, Duran-Sindreu F, Roig M. (2014) Applications of piezoelectric surgery in endodontic surgery: A literature review. Journal of Endodontics 40, 325-332.

Abella F, Ribas F, Doria G, Roig M, Durán-Sindreu F. (2021a) Guided tooth autotransplantation in edentulous areas post-orthodontic treatment. Journal of Esthetic and Restorative Dentistry 33, 685-691.

Abella F, Ribas F, Zubizarreta-Macho A, Boschini L, Roig M, Durán-Sindreu F. (2021b) Guided autotransplant of a first premolar to replace a maxillary ankylosed incisor using a custom-designed osteotome. Journal of the American Dental Association (en prensa).

Almpani K, Papageorgiou SN, Papadopoulos MA. (2015) Autotransplantation of teeth in humans: A systematic review and meta-analysis. Clinical Oral Investigations 19, 1157-1179.

Andreasen JO, Paulsen HU, Yu Z, Bayer T, Schwartz O. (1990) A long-term study of 370 autotransplanted premolars. Part II. Tooth survival and pulp healing subsequent to transplantation. European Journal of Orthodontics 12, 14-24.

Resumen

El autotrasplante dental se está convirtiendo en una opción predecible en la odontología restauradora contemporánea. Sin embargo, las condiciones del alvéolo receptor pueden variar notablemente según el momento de la pérdida del diente y el tipo de diente a extraer. El objetivo de este artículo es presentar protocolos de autotrasplante posextracción basados en la planificación digital y describir los criterios de selección para cada una de las diversas opciones. Las imágenes tridimensionales (3D), obtenidas a partir de una tomografía computarizada de haz cónico (TCHC), son esenciales para establecer un correcto diagnóstico y una precisa planificación del tratamiento, así como para diseñar modelos quirúrgicos (réplicas 3D) y férulas guiadas. El autotrasplante inmediato, realizado en un alvéolo de extracción fresco, es el más común y generalmente dispone de suficiente hueso. El autotrasplante temprano (4-8 semanas posextracción) está indicado cuando se pretenda evitar técnicas de aumento de tejido blando simultáneas o posteriores al autotrasplante. El autotrasplante diferido (12-16 semanas posextracción) es recomendable en pacientes que presenten una lesión periapical extensa, que imposibilita la colocación del diente donante en una correcta posición 3D y/o con una estabilidad primaria suficiente. Algunas indicaciones para la colocación tardía de un autotrasplante (≥6 meses) incluyen pacientes embarazadas, pacientes con dientes perdidos congénitamente o de forma prematura, o cuando hay un déficit de espacio en la zona receptora. A pesar del avance en la comprensión de la biología y el comportamiento tisular durante la cicatrización del alvéolo posextracción, ensayos clínicos aleatorizados son necesarios para brindar recomendaciones más específicas.

RELEVANCIA CLÍNICA

Gracias a las ventajas que proporciona el autotrasplante dental (preservación del aparato de inserción del diente, capacidad para inducir la formación ósea, conservación del crecimiento del proceso alveolar), así como a su elevado nivel de éxito clínico, hacen que deba ser una opción terapéutica de primera elección a la hora de reemplazar un diente ausente o dañado irreversiblemente. Un diagnóstico radiológico exhaustivo y una planificación apoyada en nuevas tecnologías (TCHC, software de planificación, réplicas, férulas quirúrgicas) van a facilitar la ejecución del procedimiento, aumentar las tasas de éxito y disminuir el riesgo de complicaciones.

Anssari Moin D, Verweij JP, Waars H, van Merkesteyn R, Wismeijer D. (2017) Accuracy of computer-assisted template-guided autotransplantation of teeth with custom three-dimensional designed/printed surgical tooling: A cadaveric study. Journal of Oral and Maxillofacial Surgery 75, 925.e1-925.e7.

Aoyama S, Yoshizawa M, Niimi K, Sugai T, Kitamura N, Saito C. (2012) Prognostic factors for autotransplantation of teeth with complete root formation. Oral Surgery, Oral Medicine, Oral Pathology and Oral Radiology 114 Suppl 5, S216-S228.

Apfel H. (1950) Autoplasty of enucleated prefunctional third molars. Journal of Oral Surgery 8, 289-296.

Atala-Acevedo C, Abarca J, Martínez-Zapata MJ, Díaz J, Olate S, Zaror C. (2017) Success rate of autotransplantation of teeth with an open apex: Systematic review and meta-analysis. Journal of Oral and Maxillofacial Surgery 75, 35-50.

Bae JH, Choi YH, Cho BH, Kim YK, Kim SG. (2010) Autotransplantation of teeth with complete root formation: A case series. Journal of Endodontics 36, 1422-1426.

Bauss O, Engelke W, Fenske C, Schilke R, Schwestka- Polly R. (2004) Autotransplantation of immature third molars into edentulous and atrophied jaw sections. International Journal of Oral and Maxillofacial Surgery 33, 558-563.

Bauss O, Zonios I, Rahman A. (2008) Root development of immature third molars transplanted to surgically created sockets. Journal of Oral and Maxillofacial Surgery 66, 1200-1211.

Buser D, Chappuis V, Belser UC, Chen S. (2017) Implant placement post extraction in esthetic single tooth sites: When immediate, when early, when late? Periodontology 2000 73, 84-102.

Chappuis V, Engel O, Shahim K, Reyes M, Katsaros C, Buser D. (2015) Soft tissue alterations in esthetic postextraction sites: A 3-dimensional analysis. Journal of dental research 94, 187S-193S.

Chung WC, Tu YK, Lin YH, Lu HK. (2014) Outcomes of autotransplanted teeth with complete root formation: A systematic review and meta-analysis. Journal of Clinical Periodontology 41, 412-423.

47 eldentistamoderno noviembre/diciembre 2022

caso clínico

Siguiendo la evolución de la Odontología para el profesional del sector llamado a construir el futuro

ENTREVISTA

• Sonia Gómara, Managing Director de la Península Ibérica de Ivoclar

ORAL MEDICINE INSIDE by

Unidos somos más fuertes

Por Luis Mallo, Presidente Ejecutivo de Knotgroup

ENTREVISTA

• Michael Reichel, Director de Ventas en Europa de Orascoptic

PENSANDO EN EL FUTURO

“Tesoro Imaging nace para canalizar la transferencia de tecnología y patentes del I3M hacia la resonancia magnética aplicada al sector dental”

Por Alfonso Ríos, CEO de Tesoro Imaging

caso clínico

50 eldentistamoderno noviembre/diciembre 2022

Una manera fácil de causar una buena impresión

VivaScan®

– Solución compacta e intuitiva[1] para su entrada en el escaneo intraoral

– Integración fácil y sin esfuerzo en su consulta [1]

– Diseño ligero y ergonómico para una experiencia de escaneo cómoda [1]

ivoclar.com Making People Smile
[1] Glebova T, Informe de validación del producto VivaScan, Informes de prueba, Ivoclar Vivadent, 2021.

“ACOMPAÑAMOS AL PROFESIONAL EN TODO SU FLUJO DE TRABAJO”

Desde sus inicios en 1923, Ivoclar ha trabajado para mejorar la vida de los pacientes con innovaciones dirigidas a facilitar la labor de odontólogos y técnicos e higienistas dentales, acompañándoles en todo su flujo de trabajo. Sonia Gómara, Managing Director de la Península Ibérica de Ivoclar, nos desvela a lo largo de esta entrevista las fortalezas de la compañía y su amplia oferta de soluciones integradas compuestas por sistemas inteligentes, formación y servicios de valor añadido.

50 eldentistamoderno noviembre/diciembre 2022 ENTREVISTA
industria dental

 DM.- Ivoclar es una empresa familiar cuyos inicios se remontan a 1923. ¿Cuáles han sido los hitos principales de la compañía en España hasta la actualidad?

Sonia Gómara (S.G.).- Ivoclar fue fundada en Zúrich (Suiza), como bien indicas en 1923, y su sede se encuentra en el Principado de Liechtenstein desde los años 30. Desde entonces, Ivoclar ha trabajado para mejorar la vida de los pacientes con innovaciones como la tecnología de inyección (IPS e.max Press), el revolucionario sistema IPS e.max CAD o nuestra gama de hornos Programat, que han hecho la vida más fácil a millones de profesionales en todo el mundo.

 DM.- ¿Cuáles son las principales fortalezas de la empresa?

S.G.- Sabemos que se requiere de una investigación intensiva, pruebas exhaustivas y una buena dosis de curiosidad para desarrollar innovaciones verdaderamente exitosas. Por eso, escuchamos a los odontólogos y técnicos dentales y aprendemos a comprender sus necesidades profesionales diarias. Conocemos sus requisitos de flujo de trabajo individuales y hacemos todo lo posible para conciliar la alta eficiencia con una estética superior. Colaboramos intensamente con las principales universidades, institutos de investigación y los mejores expertos en odontología de todo el mundo en un esfuerzo por llevar la odontología al máximo nivel. Dando como resultado uno de los departamentos de I+D más avanzados del sector, que trabaja día a día para ofrecer los últimos desarrollos en odontología.

Pero donde radica realmente la gran fortaleza de Ivoclar es en el gran equipo humano que forma la compañía, a nivel global, bajo nuestro lema “One team one mission”.

radica

 DM.- En líneas generales, indique qué tipo de soluciones y productos ofrecen desde Ivoclar para la práctica dental. S.G.- Ofrecemos ecosistemas completos que garanticen el mejor tratamiento para los pacientes y que, además, aumenten la eficiencia de su trabajo mientras el profesional crea bonitas sonrisas para sus pacientes. Acompañamos al profesional en todo su flujo de trabajo, con productos y sistemas adecuados independientemente del tratamiento a realizar,, comenzando con un buen aislamiento con OptraGate, pasando por una excelente adhesión, una gama completa de composites gracias a la línea Tetric y la polimerización eficiente de nuestras lámparas Bluephase, entre otros, permitiendo conseguir un resultado estético y una completa satisfacción del paciente.

siguiendo la evolución de la Odontología 51 eldentistamoderno noviembre/diciembre 2022
Escuchamos a los odontólogos y técnicos dentales y aprendemos a comprender sus necesidades profesionales diarias ” “
La gran fortaleza de Ivoclar
en el gran equipo humano que forma la compañía, a nivel global, bajo nuestro lema “One team one mission” ”

 DM.- ¿Cómo apoyan en Ivoclar a los profesionales dentales a través de sus soluciones?

S.G.- Responder activamente a los requisitos de nuestros clientes es nuestra máxima prioridad. Cuando diseñamos y desarrollamos aplicaciones para nuestros clientes odontólogos y técnicos dentales, siempre tenemos en cuenta las necesidades de tratamiento de sus pacientes.

Nuestras soluciones integradas están compuestas por sistemas inteligentes, formación y educación avanzadas, servicios de valor añadido y un equipo profesional apasionado.

Estamos comprometidos a ayudar a los odontólogos, técnicos dentales e higienistas dentales a ampliar sus conocimientos y experiencia y a perfeccionar sus habilidades. Nuestro compromiso se materializa en numerosas ofertas de educación y formación avanzadas en todo el mundo.

 DM.- La innovación disruptiva está intrínseca en el ADN de la empresa. ¿Cuáles han sido las últimas innovaciones desarrolladas por Ivoclar?

S.G.- Por ejemplo, nuestra línea de productos del sistema 3s PowerCure, que permiten producir restauraciones posteriores estéticas de manera extremadamente eficiente. El ahorro de tiempo está más que demostrado, mientras se logra la misma calidad y estética. Su gran ventaja radica en que Adhese Universal, Tetric PowerFill y Tetric PowerFlow se pueden polimerizar cada uno en 3 segundos utilizando la lámpara de polimerización inteligente Bluephase PowerCure.

 DM.- Háblenos sobre VivaScan. ¿Qué ventajas ofrece esta nueva solucion de escaneado intraoral a aquellos profesionales que desean introducirse en el mundo de la odontología digital?

S.G.- VivaScan es un escáner intraoral compacto y potente para la consulta dental, que ofrece una experiencia de escaneado flexible. Tiene un diseño delgado, ligero y ergonómico que hace que el escaneo sea una tarea sencilla, adaptándose con flexibilidad a los flujos de trabajo rutinarios de los odontólogos. El escáner sólo necesita conectarse a un ordenador portátil mediante un único cable, lo que facilita aún más su manejo. De este modo, los cables adicionales que podrían molestar durante el proceso de escaneado son cosa del pasado.

Con un escáner intraoral, los odontólogos pueden tomar impresiones digitales de sus pacientes de forma rápida y sin dificultades. En comparación con la toma de impresiones convencional, la toma de impresiones digital ahorra mucho tiempo y es más cómoda para el paciente. Además, el paciente obtiene una visión completa de sus propios dientes y una comprensión profunda del tratamiento, lo que beneficia la salud bucal de los pacientes y mejora su bienestar a largo plazo.

Gracias a su sencillo manejo, Vivascan se convierte en la herramienta perfecta para aquellos que quieran introducirse en el mundo de los escáneres intraorales.

 DM.- Como complemento a VivaScan, Ivoclar ofrece a sus clientes una solución de software para el intercambio seguro de datos con Ivoclar Cloud. ¿Qué mejoras ofrece este software en la conexión entre el odontólogo y el laboratorio?

S.G.- Con el software, fácil de usar e intuitivo, los escaneos se pueden enviar directamente al laboratorio de elección en un flujo de trabajo optimizado. La solución

52 eldentistamoderno noviembre/diciembre 2022 ENTREVISTA
industria dental
Ofrecemos ecosistemas completos que garanticen el mejor tratamiento para los pacientes y que, además, aumenten la eficiencia de su trabajo mientras el profesional crea bonitas sonrisas para sus pacientes

integrada de intercambio de archivos permite la transferencia segura de datos. Con un solo clic, los escaneos se suben a Ivoclar Cloud. A continuación, el protésico dental puede descargarlos con la misma facilidad desde la Nube en un formato abierto y trabajar de la forma que precise. Además, no hay costes adicionales ni cuotas anuales por este servicio. Para asegurar un comienzo exitoso con el nuevo VivaScan, Ivoclar ofrece una formación específica. En sólo 60 minutos, los dentistas podrán escanear a su primer paciente.

 DM.- ¿Cuál es la situación de las clínicas dentales en cuanto a su nivel de digitalización?

S.G.- La digitalización es ya la pareja perfecta de los profesionales, tanto clínicos como técnicos de laboratorio, quienes gracias a las nuevas herramientas ven mejorado su trabajo en precisión y eficiencia. Los trabajos han ganado en agilidad y fiabilidad, lo cual supone un ahorro de tiempo tanto para los profesionales como para el propio paciente. La importancia de la digitalización de la clínica, la comunicación clínica-laboratorio en este nuevo entorno, disponer de un equipamiento necesario para un laboratorio 100% digital, los nuevos materiales y técnicas restauradoras son fundamentales en la nueva era de la Odontología.

 DM.- En este sentido, ¿cómo ayudan desde Ivoclar a los profesionales dentales a la hora de implementar la digitalización en sus clínicas?

S.G.- En Ivoclar reconocemos al cliente como profesional dental y como individuo. Le apoyamos en su labor como dentista, técnico dental o higienista dental para que pueda cumplir su pasión y propósito: conseguir que las personas tengan la mejor calidad de vida posible hoy y en el futuro. Juntos luchamos por la excelencia.

La digitalización es un paso más para conseguir ese fin e Ivoclar les tiende la mano, con innovaciones para todos los niveles y formación continua que les permitan alcanzarlo.

 DM.- ¿Qué opciones de formación ofrecen a los técnicos dentales y odontólogos través de Ivoclar Academy?

S.G.- Ivoclar Academy es la gran apuesta de Ivoclar por la formación contínua, donde todos los profesionales del sector tienen acceso a un completo catálogo de webinars bajo demanda donde ahondar tanto en las técnicas más innovadoras como más tradicionales.

El equipo directivo de Ivoclar Iberia ya ha definido nuestro Business Plan 2023, en el cual nos hemos marcado 5 estrategias prioritarias, que afrontamos todo el equipo con mucha ilusión

 DM.- Respecto a la filial española, ¿qué previsiones tienen para la compañía de cara al cierre de 2022?

S.G.- Es cierto que se espera meses llenos de incertidumbres a nivel global, pero personalmente sigo confiando que la recuperación del sector dental seguirá alcanzando los niveles de crecimiento que ya tuvimos en el año 2019, y así lo confirman nuestras cifras.

 DM.- ¿En qué proyectos están trabajando actualmente en Ivoclar para España?

S.G.- El equipo directivo de Ivoclar Iberia ya ha definido nuestro Business Plan 2023, en el cual nos hemos marcado 5 estrategias prioritarias, que afrontamos todo el equipo con mucha ilusión. Uno de los proyectos que nos hace especial ilusión en Ivoclar, es la celebración de nuestro 100º aniversario, para el próximo año. Nuestra presencia en la IDS y en Oral-Tech será más especial que nunca y además coincide con el 50º aniversario de la subsidiaria ibérica, por lo que se augura un 2023 muy especial para nosotros. 

siguiendo
53 el
2022
la evolución de la Odontología
dentistamoderno noviembre/diciembre

publirreportaje

EL TRATAMIENTO INVISALIGN GO™ EXPRESS, LA ÚLTIMA INCORPORACIÓN

A LA PLATAFORMA INVISALIGN GO™, SISTEMA DE ALINEADORES DISEÑADO PARA ODONTÓLOGOS GENERALES

Align Technology, Inc., amplía la plataforma Invisalign Go™ en España con el tratamiento Invisalign Go™ Express, una innovación eficaz para pacientes adultos que necesitan correcciones de malposiciones menores, como espaciamientos leves, apiñamientos y recaídas ortodónticas.

Align Technology, Inc., empresa mundial en dispositivos médicos que diseña, fabrica y comercializa el sistema de aligners transparentes Invisalign®, los escáneres intraorales iTero™ y el software CAD/CAM exocad™ para la ortodoncia digital y la odontología restaurado-

ra, ha sacado al mercado el tratamiento Invisalign Go™ Express, la última incorporación a la plataforma Invisalign Go™, en España.

El tratamiento de aligners transparentes Invisalign Go™ Express es una opción eficaz para pacientes adultos que necesitan correcciones de malposiciones menores,

54 eldentistamoderno noviembre/diciembre 2022 INVISALIGN

como espaciamientos leves, apiñamientos y recaídas ortodónticas. Utiliza la misma tecnología patentada que el resto de la plataforma Invisalign Go, combinando el material Invisalign SmartTrack™, las características SmartForce™ y la tecnología SmartStage™, lo que permite obtener resultados más predecibles(1). El tratamiento Invisalign Go™ Express puede ser usado de manera independiente o formar parte de planes de tratamiento multidisciplinares. Según Abhishek Ganguly, vicepresidente de ventas de Align Technology, GP Channel EMEA, “la demanda de tratamientos estéticos está creciendo entre los pacientes. La introducción de la nueva opción de tratamiento Invisalign Go Express proporcionará un ámbito de práctica ampliado a los dentistas para tratar maloclusiones menores o correcciones estéticas con la plataforma de soluciones Invisalign”.

La alineación como base de odontología integral ofrecida por los odontólogos Lanzado por primera vez en la región de Europa, Oriente Medio y África (EMEA) en 2016 como un tratamiento de aligners de 20 etapas, Invisalign Go está diseñado para que los odontólogos traten las maloclusiones de leves a moderadas e integren la alineación de los dientes en el cuidado dental restaurativo. El tratamiento Invisalign Go Plus, lanzado en 2020, ofrece una opción de tratamiento de 26 etapas para corregir los dientes anteriores hasta el primer molar, incluido, en un periodo de 6 a 12 me-

FICHA TÉCNICA INVISALIGN GOTM EXPRESS

Tipo de maloclusión: Leve Ámbito clínico: Clase I  Apiñamiento/espacio leve  Sin corrección de la clase molar  Sin extracción Perfil del paciente: Adulto Número de alineadores: 7 Dientes en el ámbito: Primer premolar a Primer premolar (4-4)

ses. El nuevo Invisalign Go Express es una opción de tratamiento de hasta 7 etapas.

En palabras de Lee Taylor, vicepresidente de marketing de Align Technology para la región de EMEA, “la evolución de las expectativas de los pacientes y los avances tecnológicos han llevado a la odontología a una nueva era. Align se asocia con los odontólogos generales para ayudarles a prosperar. Con la cartera ampliada Invisalign Go y su última incorporación, el tratamiento Invisalign Go Express, ofrecemos ahora una cartera completa de sistemas avanzados de aligners transparentes que permiten a los odontólogos realizar una mayor variedad de tratamientos integrales mínimamente invasivos, con el apoyo constante de una clara hoja de ruta de formación y educación profesional”.

El tratamiento de aligners transparentes Invisalign Go Express está disponible en España desde el pasado mes de octubre. 

[1] En comparación con los alineadores Invisalign fabricados anteriormente con material monocapa (EX30).

55 eldentistamoderno noviembre/diciembre 2022

Más información Invisalign Go

oral medicine inside

UNIDOS SOMOS MÁS FUERTES

Estrategia y marca son los pilares estabilizadores para la clínica dental en momentos de inestabilidad como el que estamos viviendo en la actualidad. Para hacer frente a las adversidades que se puedan producir, Luis Mallo, Presidente Ejecutivo de Knotgroup, asegura que el sector debe “trabajar de forma más colaborativa, con clínicas trabajando con otras clínicas, compartiendo proyectos, preocupaciones y aprovechando, conjuntamente, oportunidades”.

Ingeniero, Fundador y CEO de varias compañías internacionales de innovación y tecnología en el campo de la Salud y la Educación y ponente de referencia internacional. Creador, entre otros, de servicios públicos como el “Centro de Gestión de Emergencias 112 de la Comunidad de Madrid” y el “Servicio de Emergencias extrahospitalarias (SUMA112 Madrid)”.

Contacto: Knotgroup Dental Corporation www.knotgroupdentalcorporation.com info@knotgroupdentalcorporation.com

Desde hace varios años, hay un consenso amplio entre profesionales, directivos y académicos de que el sector dental se enfrenta a retos sin precedentes en un entorno altamente cambiante. Factores como un marco económico mundial incierto que se traduce en la actualidad en mayores costes para las clínicas, un nuevo papel del sector salud en la economía, el impacto de la digitalización y los cambios en la demanda de servicios por parte de los pacientes, explican estas turbulencias.

Corren tiempos difíciles para la economía en general y para la odontología en particular. La alta volatilidad macroeconómica, la incertidumbre cre -

ciente en los mercados internacionales y la cada vez mayor complejidad del entorno, nos ponen en guardia. Cuestiones como el ritmo al que vamos a poder crecer en la clínica o cuál va a ser la política de contención de gastos o incluso cómo se comportarán los pacientes en estas circunstancias, requieren un análisis y una respuesta por nuestra parte.

Pero más allá de las actuaciones que vayamos a tomar, sabemos que las clínicas que mejor aguantan el impacto de una recesión económica son aquellas que cuentan con una buena “estrategia” y una “marca” sólida y bien posicionada en el sector.

56 eldentistamoderno noviembre/diciembre 2022 UN GRUPO DE INNOVACIÓN
Por Luis Mallo, Presidente Ejecutivo de Knotgroup Luis Mallo Presidente Ejecutivo de Knotgroup.

A continuación veremos algunas consideraciones sobre estos dos baluartes, estrategia y marca, que funcionan como estabilizadores para la clínica en momentos de inestabilidad como el que vivimos.

Una estrategia basada en el liderazgo En tiempos de prosperidad se puede sobrevivir sin una estrategia clara, simplemente dejándote llevar aprovechando las tendencias favorables y las ventajas de un mercado que crece. Pero en tiempos de dificultad, tarde o temprano, la clínica se terminará resintiendo. Las primeras visitas se retraerán, las tasas de aceptación de tratamientos se verán afectadas, la reducción de costes no será una opción y la liquidez pasará a ser una prioridad. Y en este escenario adverso podríamos preguntarnos si sufrirán todas las clínicas por igual y qué clínicas serán capaces de capear mejor el temporal. La respuesta a la primera pregunta es que sabemos que el impacto será desigual en función de las fortalezas con las que cuente la clínica. En relación a la segunda, sin duda, las clínicas mejor preparadas serán aquellas capaces de reunir más talento, más capacidades estratégicas y poner en marcha mejores iniciativas. Es decir, aquellas que consigan aplicar estrategias que las permitan despuntar en alguna faceta de su actividad. Podríamos destacar, por ejemplo, por una estrategia de liderazgo en tratamientos de alta calidad, con las últimas técnicas, intensivos en tecnología y aplicados por un equipo de especialistas de prestigio. Pero podríamos también destacar por una estrategia de excelencia en la organización y por un buen diseño de los flujos de trabajo, que la hagan precisa, puntual y confiable para el público. Finalmente, y aún sin tener un claro liderazgo en el tipo de tratamientos que ofrecemos, ni en la organización operativa, nuestra clínica podría destacar por una estrategia de servicio personalizado de calidad y una atención excelente al paciente. Con cualquiera de estos tres enfoques, reclamaríamos la atención del público y nuestro prestigio se vería reforzado. Pero si, por el contrario, nuestra clínica no destaca en ninguna de estas tres dimensiones y no consigue diferenciarse, pasará desapercibida y seguramente dejará de ser la opción preferida de los pacientes. Ganar en relevancia supone un gran esfuerzo para la clínica y un trabajo que, en muchos casos, le resulta difícil de conseguir por ella misma, debido a falta de recursos, de tamaño y de masa crítica para escalar.

Esto va a exigir al sector trabajar de forma más colaborativa, con clínicas trabajando con otras clínicas, compartiendo proyectos, preocupaciones y aprovechando, conjuntamente, oportunidades. En Knotgroup sabemos que en el entorno actual, ninguna clínica será capaz de lograr algo importante, sin una visión, una coherencia a través de los años y una estrategia clara. Por eso, “estrategia” y “marca” forman parte de nuestra agenda de trabajo. Mejores estrategias y mejores marcas son un buen antídoto para hacer frente a las adversidades y evitar las guerras de precios que hoy vivimos en el sector.

Una marca que te haga fuerte Cuanto más cambiante es el entorno, más difícil es hacer estrategia y más necesitamos de una buena marca. La marca es el activo más valioso que posee una clínica dental. Un activo invisible cuyo valor está por encima del de sus instalaciones y su equipamiento. Una buena marca es capaz de emocionar, transmitir sentimientos, generar confianza, evocar recuerdos

57 eldentistamoderno noviembre/diciembre 2022

Las clínicas que mejor aguantan el impacto de una recesión económica son aquellas que cuentan con una buena ‘estrategia’ y una ‘marca’ sólida y bien posicionada en el sector ”

oral medicine inside

para los pacientes y para el resto de las instituciones. Toda su historia, su prestigio clínico y científico y su reputación, se condensan en su marca. Y en odontología las cosas no son distintas al resto del sector médico. En la marca de nuestra clínica residen nuestros valores y lo que el público percibe acerca de nuestra calidad, de nuestros tratamientos y de nuestro servicio.

Las clínicas necesitan buenas marcas, que hablen bien de ellas, que crezcan de forma orgánica y atraigan a comunidades de seguidores interesados en sus valores.

positivos, hacerte sentir exclusivo, transportarte y conectarnos con otros. Su valor recoge el resultado de lo que la clínica es, de lo que ofrece, de lo que aporta a los pacientes, de su rigor, su ética y su profesionalidad. De todo esto nos habla la marca. Solemos pensar que una marca es el resultado del diseño de un logotipo, de encontrar una frase con más o menos impacto y de invertir en campañas publicitarias. Sin embargo, algunas de las marcas más icónicas del momento actual se han construido sin invertir ni un euro en medios, como es el caso de Tesla que, sin gastos en publicidad, ocupa el tercer puesto en el ranking mundial de menciones de marca y es la que mayor engagement genera en redes sociales.

En los últimos 25 años, el sector odontológico no ha visto la marca como una prioridad, quizás debido a la idea de que ésta estaba asociada a publicidad y marketing masivo, poco propio de un servicio de salud.

Pero nada más lejos de la realidad. La marca es el buque insignia de las organizaciones de salud más prestigiosas del mundo. Es el distintivo que las identifica como mejores y que hace de ellas un referente

Centrémonos, por un momento, en Knotgroup. Cuando hablamos de Knotgroup hablamos de una marca referente, que engloba marcas de clínicas de prestigio. Clínicas de autor que comparten una visión y una forma de entender la odontología y que han destacado por su trayectoria.

Hablamos de clínicas que han sabido renovarse a lo largo de este tiempo, manteniendo su espíritu innovador y los principios que las hicieron excelentes. Y ¿cómo entendemos en Knotgroup la gestión de esas marcas que son el resultado de años de éxito de esas clínicas y del trabajo de varias generaciones? ¿Cómo manejamos ese intangible tan valioso por el que muchos pacientes las visitan, se vinculan a ellas y las recomiendan? Haciendo que los valores de esas marcas crezcan, que sigan generando confianza y conecten más con los pacientes, convirtiéndolos en fans.

En Knotgroup sabemos que las buenas marcas se construyen a fuego lento, sin atajos, sobre valores sólidos y lejos del oportunismo o las modas. Se construyen desde lo que somos, desde nuestras señas de identidad y desde lo que nos hace diferentes y mejores con nuestros pacientes.

Pero también sabemos que las marcas tienen vida propia y en ocasiones quedan anticuadas, pierden fuerza y dejan de impactar como lo hacían. ¿Cómo hacer, entonces, que esas marcas continúen reflejando el valor de años de trabajo y dedicación a sus pacientes? ¿Cómo conseguir que estas marcas resistan las crisis y el paso del tiempo y sigan siendo atractivas para las nuevas generaciones que buscan cosas distintas?

Éste es el reto que tenemos hoy por delante. Dar respuesta a esto nos va a exigir más colaboración entre nosotros para construir muros altos contra las amenazas de un entorno volátil y hostil. Muros hechos con estrategias más fuertes y marcas con personalidad.

58 eldentistamoderno noviembre/diciembre 2022 UN GRUPO DE INNOVACIÓN
En Knotgroup sabemos que las buenas marcas se construyen desde lo que somos, desde nuestras señas de identidad y desde lo que nos hace diferentes y mejores con nuestros pacientes ”

Experiencia e innovación

Flujo de trabajo clínico solución para Implantología by ACTEON®

Una gama completa que cubre todos los pasos del flujo de trabajo en implantología

Combinando experiencia en imaging y ultrasonidos, Acteon ofrece productos innovadores que ayudan a los implantólogos a realizar procedimientos seguros y cómodos, desde el diagnóstico hasta el seguimiento, pasando por tratamientos predecibles. ACTEON®

DIAGNÓSTICO Y PLANIFICACIÓN

SEGUIMIENTO TRATAMIENTO

Productos sanitarios. Para más información lea las instrucciones de uso o el etiquetado dedicado a cada producto.

59 eldentistamoderno noviembre/diciembre 2022

MEDICO-DENTAL
Pol. Ind. Can Clapers Avda. Principal Nº
www.acteongroup.com/es
IBERICA, S.A.U.
11H 08181 Sentmenat BARCELONA

“EL DÍA DE UN CLÍNICO DENTAL ES VARIABLE Y ASÍ DEBERÍA SER SU LUPA”

Con la innovación y el diseño como base para el desarrollo de sus soluciones, desde Orascoptic son conscientes de la importancia de las gafas médicas para los clínicos dentales en su día a día y por ello fabrican lupas según las especificaciones de cada profesional. Michael Reichel, Director de Ventas en Europa de Orascoptic, nos explica en esta entrevista la vocación de la compañía por ofrecer soluciones de magnificación e iluminación totalmente personalizadas, guiando al profesional a lo largo de todo el proceso para ayudarle a sentirse bien con sus lupas y, en definitiva, ayudarle a conseguir lo mejor de sí mismo.

 DM.- Usted lleva más de 12 años trabajando en Orascoptic y desde 2018 ostenta el cargo de European Sales Manager, siendo premiado en varias ocasiones por su liderazgo. ¿Qué es lo que le hace sentirse orgulloso de su empresa?

Michael Reichel (M.R.).- Orascoptic tiene una larga reputación en gafas médicas para todos los clínicos dentales, hemos sido los pioneros en productos innovadores y estoy muy orgulloso de nuestro crecimiento y el apoyo que ofrecemos en España a nuestros profesionales dentales.

 DM.- En Orascoptic diseñan y elaboran productos a medida. ¿Qué ventajas ofrece esta personalización a los dentistas, cirujanos e higienistas?

M.R.- Como profesional de la odontología, su trabajo está expuesto en cada sonrisa que sale de su consulta. La odontología requiere una visualización

Orascoptic incluye la prescripción ocular del clínico de forma gratuita, asegurando que el clínico tiene la visión correcta de su lupa personalizada ”

industria dental 60 eldentistamoderno noviembre/diciembre 2022 ENTREVISTA

excepcional, unas habilidades únicas y una precisión que puede dejarle vulnerable a una posición corporal poco natural durante largos periodos de tiempo. Nuestras lupas y faros de ajuste personalizado le permiten trabajar con una visualización superior para ver lo que no se ve y practicar sin dolor. Durante una consulta en la clínica, nuestros expertos le guiarán hacia la lupa y el faro adecuados para su consulta.

 DM.- Las lupas de aumento son un instrumento imprescindible en el día a día de los profesionales de los distintos campos de la Odontología. ¿Qué beneficios aporta la tecnología de las soluciones que Orascoptic ofrece estos profesionales?

M.R.- La innovación es nuestra forma de vida, recordamos que invertimos en innovación y diseño. En el campo de las lupas y faros dentales y quirúrgicos estamos orgullosos de haber presentado a la industria muchas ‘’primicias’’.

 DM.- Por otro lado, ¿qué servicios ofrecen desde Orascoptic a los profesionales que adquieren sus sistemas de magnificación e iluminación?

M.R.- Con cada lupa personalizada que construimos para nuestros clínicos, Orascoptic ofrece un periodo de prueba de 45 días con una garantía de devolución del 100% del dinero. Orascoptic también incluirá la prescripción ocular del clínico de forma gratuita, asegurando que el clínico tiene la visión correcta de su lupa personalizada.

 DM.- En este sentido, ¿cómo les ayudan a escoger la lupa y/o el iluminador frontal más adecuado para sus intervenciones?

M.R.- Cada lupa se construye según sus especificaciones. Todo comienza en su oficina con una demostración guiada de los productos Orascoptic con su experto óptico local. Se toman las medidas precisas para construir un perfil de su geometría facial que se utilizará como plano digital para fabricar sus lupas. Creemos que cuando sus lupas se sienten parte de uno mismo, le ayudan a conseguir lo mejor de sí mismo.

 DM.- Entre sus últimas novedades se encuentra Dragonfly, una nueva clase de lupas con luz integrada a la perfección. ¿Qué ventajas ofrece esta solución que combina magnificación e iluminación?

M.R.- Dragonfly combina la óptica líder del sector de Orascoptic y la galardonada Healight en un único producto de iluminación. Toda la electrónica y las baterías están completamente contenidas dentro de la montura, sin cables y sin alambres.

 DM.- Otra de sus novedades es XV1, la primera y única lupa inalámbrica con sistema de iluminación frontal incorporado. Háblenos de las ventajas de esta solución.

siguiendo
evolución
61 eldentistamoderno noviembre/diciembre 2022
la
de la Odontología
Dragonfly combina la óptica líder del sector de Orascoptic y la galardonada Healight en un único producto de iluminación

M.R.- Diseñada para superar los límites de las monturas tradicionales, la XV1 ofrece un sistema de iluminación frontal inalámbrico incorporado. Características innovadoras como los controles táctiles capacitivos, los monitores de capacidad de la batería, los brazos de las patillas plegables y una almohadilla nasal ajustable llevan el rendimiento de la lupa a un nuevo nivel. Disponible sin telescopios, la propia montura es la protección ocular ideal.

La XV1 es compatible con una amplia gama de graduaciones oculares y puede adquirirse sin telescopios para funcionar simplemente como montura de seguridad y para la cabeza.

 DM.- Otro de los últimos lanzamientos de la compañía ha sido EyeZoom. ¿Qué ventajas ofrece a los doctores esta lupa de aumento variable 3 en 1?

M.R.- EyeZoom es la primera y única lupa de aumento variable 3 en 1. Cambia sin problemas entre los niveles de aumento 3x, 4x y 5x.

A medida que se incrementa el aumento, el campo de visión disminuye. Es la física del aumento. Con EyeZoom obtendrá lo mejor de ambos.

El día de un clínico dental es variable y así debería ser su lupa.

 DM.- Como pioneros en innovación durante más de 35 años, ¿hacia dónde se dirigen las tendencias en cuanto a lupas de aumento e iluminación?

M.R.- El mercado de la magnificación y la iluminación está creciendo, ya que cada vez más estudiantes de odontología son testigos de los beneficios de la magnificación, y ahora vemos las lupas como una parte esencial del equipo de los estudiantes de odontología, lo que les permite aprender buenos hábitos ergonómicos mientras aún están en la escuela de odontología.

 DM.- ¿En qué proyectos están trabajando de cara a 2023?

M.R.- Eso es top secret, ¡tendrán que esperar y ver! Tenemos algunos productos nuevos e increíbles que llegarán en 2023. 

62 eldentistamoderno noviembre/diciembre 2022 ENTREVISTA
industria dental
Creemos que cuando sus lupas se sienten parte de uno mismo, le ayudan a conseguir lo mejor de sí mismo ”
Con cada lupa personalizada que construimos para nuestros clínicos, Orascoptic ofrece un periodo de prueba de 45 días con una garantía de devolución del 100% del dinero ”

La era de la lupa motorizada ha llegado.

Presentamos Dragonfly: una nueva especie de lupas que integra a la perfección una lámpara frontal incorporada. Cuanto mejor sea su equipo, mejor será su trabajo. Pero hay algo que decir sobre cómo le hace sentir el equipo. Elegante. Ágil. Todo bajo control.    Nunca ha tenido una lupa como esta porque nunca ha habido una lupa como esta. Los cables y las baterías son cosa del pasado. No permita que su lupa y luz actuales le frenen. Libérese para rendir al máximo.

Programe su demostración práctica gratuita hoy mismo. Orascoptic.com/dragonfly

ORA-MKG-0966

pensando en el futuro

“TESORO IMAGING NACE PARA CANALIZAR LA TRANSFERENCIA DE TECNOLOGÍA Y PATENTES DEL I3M HACIA LA RESONANCIA MAGNÉTICA APLICADA AL SECTOR DENTAL”

Tesoro Imaging es una spin-off del Instituto de Instrumentación para la Imagen Molecular (I3M) del Consejo “Superior de Investigaciones Científicas (CSIC). Tal y como nos explica Alfonso Ríos, CEO de Tesoro Imaging, la resonancia magnética que han creado “permite poder ver tejido blando y duro tan frecuentemente como quieran y además aplicarlo a embarazadas y niños”.

 DM.- ¿Cómo surgió la idea de crear Tesoro Imaging y cuál es la actividad principal de la compañía?

Contacto: alfonso.rios@tesoroimaging.com

Alfonso Ríos (A.R.).- Tesoro Imaging surge como una spin-off del I3M para canalizar la transferencia de tecnología y patentes de éste hacia el dominio de la resonancia magnética y su aplicación al mundo dental. Los motivos por los que se centra en el área odontológica son, por un lado, de carácter científico, ya que actualmente los dentistas utilizan rayos x para tomar imágenes, pero solo les permite ver las imágenes duras y el hecho de que la radiografía sea ionizante hace que no puedan tomarlas muy frecuentemente debido a la radiación. Nuestra resonancia permite poder ver tejido blando y

64 eldentistamoderno noviembre/diciembre 2022 OPINIÓN
Alfonso
Ríos
, CEO de Tesoro Imaging
Nuestra resonancia permite ver tejido blando y duro, facilitando al cirujano maxilofacial y al odontólogo ver las inflamaciones o problemas que afecten del oído al cuello ”

tejido duro tan frecuentemente como quieran y además aplicarlo a embarazadas y niños; y, por otro, de carácter empresarial, pues el mercado de imágenes de rayos x dentales es el más grande del mundo.

 DM.- ¿En qué pilares se basa la innovación en Tesoro Imaging?

A.R.- La resonancia normal utiliza un campo magnético muy alto y esto es muy caro, es por ello que nosotros hacemos imágenes a un campo magnético bajo para permitirnos tener unos precios mucho más baratos; ahora bien, la señal que recibe es de peor calidad, pero por eso utilizamos un software más inteligente que, de alguna manera, consigue que el sistema construya imágenes de valor.

 DM.- En cuanto a su máquina de resonancia magnética adaptada al campo de la salud bucodental, ¿en qué consiste esta técnica de imagen médica y qué avance ofrecerá al sector dental y a sus profesionales?

A.R.- La resonancia de nuestra máquina permite ver tejido blando y duro, además de los músculos, nervios..., entre otros factores principales, facilitándole así a los cirujanos maxilofaciales y odontólogos ver las inflamaciones o problemas que afecten al oído y, en general, hasta el cuello con una imagen con muchos más datos. Además, la resonancia saca una imagen perfecta de las figuras de ortodoncia y se podrían mandar a imprimir inmediatamente o hacer moldes, con lo cual también aceleraría todo el proceso de la ortopedia y ortodoncia dental en ese punto.

 DM.- ¿Qué ventajas presenta frente a otras soluciones del mercado?

A.R.- Siempre nos comparamos con los rayos x y con las imágenes ópticas normales; nosotros podemos ver tejido blando, podemos tomar tantas imágenes como queramos debido a que no hay radioactiva. Ahora, frente al escáner visual, éste tiene imprecisiones y no puede distinguir la saliva o la volumetría del diente, entre otros, mientras que con nuestra máquina es más fácil su distinción.

 DM.- Tesoro Imaging ha sido seleccionada entre las 10 más potentes inversiones del mundo en el Digital RESI June Innovator’s Pitch Challenge. ¿Qué impulso supone este hecho para su proyecto?

A.R.- El Digital RESI nos ha dado mucha visibilidad, nos ha permitido conocer inversionistas. En este momento estamos empezando la ronda para atraer socios y éste es el tipo de evento que nos permite crear una red para nuestro crecimiento.

 DM.- ¿En qué proyectos están trabajando actualmente desde Tesoro Imaging?

A.R.- En Tesoro Imaging tenemos en funcionamiento un prototipo que escanea muy bien la cabeza de animales y ahora nuestro foco está en nuestro primer prototipo para humanos que ya será funcional y validado. 

Ingeniería Electrónica por la Universidad de Valencia.

Doctor en Física de Partículas y Computación por el CERN-UNESCO en Suiza y por la Universidad de Valencia.

Exdirector de INDRA.

Emprendedor y científico, centrado en tecnologías disruptivas e informáticas, y fundador de varias empresas con generación de DPI en diferentes países.

Especial atención en áreas como Cloud Computing y Big Data.

siguiendo la evolución
65 eldentistamoderno noviembre/diciembre 2022
de la Odontología
Alfonso Ríos
La resonancia saca una imagen perfecta de las figuras de ortodoncia y se podría mandar a imprimir o hacer moldes inmediatamente

EL CONSEJO GENERAL DE DENTISTAS PRESENTA EL ATLAS “LA SALUD BUCODENTAL EN LA UNIÓN EUROPEA”

En Europa más de la mitad del gasto total en atención dental proviene de pagos directos del paciente. Por esta razón, la atención bucodental es el tipo de cuidado al que los europeos renuncian más frecuentemente por razones financieras.

España ocupa la parte baja del ranking en cuanto a la participación pública en el gasto dental con una cobertura pública de tan solo el 2%, mientras que Alemania se sitúa como el país europeo donde la participación pública en el gasto dental es mayor, con un 68%.

Además, desde el Consejo también han destacado la existencia de “una desigualdad muy marcada en la demanda de cuidados dentales y necesidades no cubiertas, en función del nivel socioeconómico”.

El Consejo General de Dentistas ha presentado el atlas “La Salud Bucodental en la Unión Europea”. Tal y como ha explicado el presidente del Consejo General de Dentistas, el Dr. Óscar Castro Reino, en él se expone la situación de la salud oral en Europa “con el fin de conocer los principales parámetros e indicadores de salud bucodental, la financiación, la cobertura asistencial y los recursos humanos, entre otros datos, en todos los países europeos y poder comparar la situación de España respecto al resto”. Durante la presentación, el Dr. Óscar Castro Reino ha detallado algunas de las cuestiones más relevantes del atlas europeo. En cuanto a las enfermedades bucodentales, ha señalado que un tercio de los adolescentes europeos de 12 años presenta caries en la dentición permanente. A pesar de este dato, la caries ha disminuido en las últimas cuatro décadas en la mayoría de los países de la UE, aunque “continúa siendo un problema de salud pública que se debe abordar”, ha apuntado el Dr. Castro Reino. En España, el índice promedio de caries infantil CAOD (índice de dientes cariados, ausentes y obturados) es de 0.6, solo más bajo en Alemania y Dinamarca. En lo que respecta a las bolsas periodontales, en España, la prevalencia en adultos se encuentra dentro de la media de los países europeos, al igual que la incidencia de cáncer oral. En 2020 se detectaron más de 65.000 nuevos casos de cáncer oral en el conjunto de la UE.

En resumidas cuentas, tal y como ha apuntado el presidente del Consejo, “en términos de indicadores de patología bucodental, referidos a caries en adolescentes, enfermedad periodontal en adultos jóvenes y edentulismo en adultos mayores, España se sitúa entre aquellos países con baja prevalencia”.

Existen tres tipos diferentes de atención dental en la UE. La cobertura limitada, que se da en países como España, Grecia, Italia y Portugal, donde la atención dental está prácticamente excluida de la cobertura pública (entre el 1% y el 7%). La cobertura parcial (Francia, Bélgica, Reino Unido, Suecia), la cobertura pública se sitúa entre el 25% y el 40%. Por último, la cobertura integral (Alemania, Austria, Luxemburgo), en la que la participación pública va del 70% al 75%.

En lo que al número de dentistas se refiere, la media europea es de 76 por 100.000 habitantes, siendo la tasa española de 85 dentistas por cada 100.000 habitantes, con una demanda asistencial baja. España junto a Rumanía y Bulgaria, presenta una de las tasas de densidad dentistas/población ajustada a la demanda, más alta de la UE.

Sobre el número de visitas anuales al dentista en la UE, el atlas recoge como media de visitas 1.15. España, con 0.7 visitas de media al año, se sitúa a la cola de Europa junto a Hungría, Rumanía y Chipre. Actualmente ejercen como especialistas unos 30.000 dentistas en toda Europa, siendo la ortodoncia la especialidad más frecuentemente reconocida, seguida de la cirugía bucal.

Por otro lado, tal y como ha resaltado el presidente del Consejo, “España es el único país europeo que no tiene ninguna especialidad dental reconocida”.

El presidente del Consejo General de Dentistas ha explicado que en los últimos años las políticas de salud bucodental han recibido una mayor atención, “lo que ha culminado con la adopción y la resolución de la OMS en 2021, que insta a los Estados Miembros a integrar mejor la salud bucodental en sus programas y en las agendas de enfermedades no transmisibles”.

Asimismo, el Dr. Castro Reino ha concluido que “esperamos que este atlas permita conocer mejor la situación de nuestro país en el contexto europeo, a la vez que ayude a sensibilizar sobre la importancia de una óptima salud oral”. 

actualidad NOTICIAS 66 eldentistamoderno noviembre/diciembre 2022

LA CREACIÓN DE ESPECIALIDADES ODONTOLÓGICAS CENTRA LA ASAMBLEA ANUAL DE LAS SOCIEDADES CIENTÍFICAS ADSCRITAS AL CONSEJO GENERAL DE DENTISTAS

El Consejo General de Dentistas ha acogido la asamblea anual de las Sociedades Científicas adscritas a la Organización Colegial. El Dr. Óscar Castro Reino, presidente del Consejo, fue el encargado de presidir este encuentro en el que uno de los temas principales que se trataron fue la creación de las especialidades odontológicas, una de las prioridades del Consejo General de Dentistas y por la que lleva mucho tiempo trabajando junto con la Conferencia de Decanos y las Sociedades Científicas adscritas a la Organización Colegial.

“Las especialidades odontológicas son una necesidad real de la sociedad y, por lo tanto, seguiremos trabajando para que se nos facilite acceder a ellas”, aseveró el Dr. Castro, que también manifestó su apoyo incondicional a todas las Sociedades Científicas que soliciten la creación de una especialidad odontológica concreta, tal y como se establece en el Real Decreto 589/2022, de 19 de julio, por el que se regulan la formación transversal de las especialidades en Ciencias de la Salud. “Las características de la Odontología son especiales, puesto que todavía no tenemos ninguna especialidad aprobada y, por lo tanto, se nos está privando de un derecho del que gozan todos los dentistas de la Unión

Europea. Del mismo modo, la aprobación de especialidades odontológicas conllevaría una mejora en la calidad asistencial que se ofrece a los pacientes”, afirmó el máximo representante de los dentistas en nuestro país.

Otro de los temas tratados fue la nueva versión del programa ConsIn, a través del cual el Consejo pone a disposición de la colegiación los consentimientos informados para los pacientes. El lanzamiento de esta nueva versión será en breve y en ella se facilitarán los consentimientos tanto en español como en inglés, entre otras novedades. Por último, se solicitó a las Sociedades Científicas que antes de planificar la celebración de sus congresos, comuniquen previamente las fechas al resto de Sociedades adscritas, para evitar que se solapen. Las fechas y sedes elegidas vienen reflejadas en los calendarios de congresos disponibles para su consulta en la página web del Consejo: Sociedades Científicas (consejodentistas.es). Igualmente, el presidente de la Organización Colegial solicitó la colaboración de las Sociedades Científicas para intentar coordinar los contenidos de los congresos, tal y como se establece en el reglamento de adscripción al Consejo General de Dentistas (Art. 6.c), para evitar que se dupliquen los contenidos elegidos. 

LA

ODONTOLOGÍA

ESPAÑOLA SIGUE DEMOSTRANDO SU EXCELENCIA CIENTÍFICA EN LA ÚLTIMA EDICIÓN DEL RANKING DE STANFORD

La Odontología española ha vuelto a ser reconocida internacionalmente por su excelencia científica con la inclusión de 13 investigadores en la lista de los científicos más relevantes del mundo, en la nueva edición del ranking de la Universidad de Stanford (Ranking of the World Scientists: World´s Top 2% Scientists). Particularmente, en el área de Odontología esta clasificación identifica a 1.573 investigadores en el mundo, y en esa lista incluye a 13 investigadores españoles, tres más que en la edición previa del ranking. Como en el año anterior, el primero de esa lista continúa siendo el Dr. Eduardo Anitua, director del University Institute for Regenerative Medicine and Oral Implantology (UIRMI), que además ocupa un lugar muy destacado en el ranking global de Odontología, en la posición número 56 a nivel

mundial. Le sigue el Dr. Mariano Sanz, de la Universidad Complutense de Madrid que está situado en el ranking mundial en la posición 140.

En el listado también encontramos a los doctores David Herrera (Universidad Complutense), Miguel Ángel González-Moles (Universidad de Granada), Cosme Gay-Escoda (Centro Médico Teknon), José Bagán (Universidad de Valencia), Manuel Toledano (Universidad de Granada), Pía López-Jornet (Universidad de Murcia), Raquel Osorio (Universidad de Granada), Juan J. Segura-Egea (Universidad de Sevilla), Abel García-García (Universidad de Santiago de Compostela), Pedro Diz Dios (Universidad de Santiago de Compostela) y Raúl González-García (Hospital Universitario de Badajoz). 

67 eldentistamoderno noviembre/diciembre 2022

JUAN CARLOS UNZUÉ, PREMIO MEJOR SONRISA 2022

El Comité Ejecutivo del Consejo General de Dentistas de España y el patronato de la Fundación Dental Española han otorgado el Premio a Mejor Sonrisa a Juan Carlos Unzué Labiano, por su trayectoria profesional y, muy especialmente, como “ejemplo de valor, lucha y superación diaria ante la adversidad de la enfermedad que sufre: ELA”. Su trabajo para visibilizar la ELA contribuye a que se tome conciencia de la importancia de destinar recursos a la investigación de ésta y otras enfermedades neurodegenerativas. El presidente del Consejo General de Dentistas, el Dr. Óscar Castro Reino, hizo entrega a Unzué de una placa conmemorativa y un cheque por valor de 3.000 euros. El exfutbolista agradeció al Consejo General de Dentistas y a la FDE la entrega de este premio y afirmó que las consecuencias de esta enfermedad a día de hoy no le han quitado la sonrisa, “solo se me borra la sonrisa cuando me entero de

que compañeros y compañeros de enfermedad han decidido, como consecuencia de las po cas ayudas que hay, dejar este mundo. Tene mos un problema como sociedad si seguimos permitiendo que esto ocurra, porque estamos poniendo en duda el primer derecho y más im portante que tenemos las personas, el derecho a una vida digna”, aseveró.

Tras recibir el galardón, Unzué señaló además que “éste es uno de los premios más bonitos y que más ilusión me han hecho” y añadió que “ojalá todas las personas con ELA puedan vivir cada día con la misma ilusión que lo hago yo y con el apoyo de todos”.

El ganador de la edición 2022 ha donado los 3.000 euros del Premio a Fundación FUNDELA. El propio Unzué entregó el cheque a Javier García Matallanas, patrón de la Fundación FUNDELA, quien quiso destacar que “cada día se diagnostican 3 casos de ELA y otras tantas personas fallecen a causa de la enfermedad”.

UNA INVESTIGACIÓN DEL GRUPO COMPLUTENSE 920202 PONE DE RELIEVE LAS IMPORTANTES ALTERACIONES DEL CRECIMIENTO DESCRITAS EN PACIENTES CON FISURA LABIOPALATINA

El grupo Complutense de investigación 920202, en colaboración con varios facultativos de ocho hospitales diferentes de toda España, ha publicado un estudio que analiza la morfología craneofacial de 83 pacientes adultos que nacieron con distintos tipos de fisuras labiopalatinas. El trabajo pone de relieve las importantes alteraciones del crecimiento descritas en pacientes fisurados. Por ello, para tratar de examinar la morfología y las dimensiones craneofaciales y palatinas, los pacientes fueron clasificados en cuatro grupos en función de su tipo de fisura: 1) sólo labiales (n = 6); 2) fisuras de labio y paladar de un solo lado (n = 37); 3) fisuras de labio y paladar bilaterales (n = 16); y 4) fisuras palatinas aisladas (n = 24). Para el análisis obtuvieron modelos digitales tridimensionales (3D) con un escáner intraoral, junto con cefalometrías y distintos tipos de fotografías faciales en las que llevaron a cabo numerosas mediciones. Los resultados se analizaron estadísticamente y mostraron alteraciones craneofaciales en todos los grupos salvo en el que estaba formado exclusivamente por fisuras labiales aisladas. Las alteraciones observadas en el paladar, el maxilar y la mandíbula afectaban directamente a la apariencia facial. No obstante, las más graves sólo se observaron en el grupo con fisuras bilaterales de labio y paladar. Por tanto, los autores concluyen que las características y el tipo de fisura parecen ser los principales factores determinantes de las al-

teraciones del crecimiento craneofacial a largo plazo. En cualquier caso, se necesitan más investigaciones de tipo prospectivo para de linear claramente los efectos de los diferentes tratamientos en los pacientes fisurados. Desde hace más de dos décadas, este grupo Complutense de investi gación 920202 trabaja con el reto de mejorar la calidad de vida de los bebés con fisura palatina. Hasta la fecha, gracias a la financiación de numerosos proyectos, públicos y privados, han llevado a cabo decenas de trabajos utilizando distintos modelos de experimenta ción animal, pero éste es el primer estudio en humanos en el que, además de los 83 pacientes, han participado 71 estudiantes de las Facultades de Odontología y Medicina como grupo control.

actualidad NOTICIAS 68 eldentistamoderno noviembre/diciembre 2022

Excelentes Resultados en menos tiempo

El sistema de matrices seccionales HALO le permite hacer restauraciones de composite anatómicamente contorneadas, de una manera muy sencilla y en muy poco tiempo.

LAS CONSULTAS DENTALES, PREPARADAS PARA PONER FRENO A LA DIABETES Y LA HIPERTENSIÓN ARTERIAL OCULTA

En España se contabilizan actualmente unas 23.500 clínicas dentales, a las que acuden diariamente miles de personas que, generalmente, se consideran ‘sanas’, que se acercan regularmente a estos centros odontológicos para abordar cuestiones de salud bucal y que, mayoritariamente, pasan meses/años sin visitar a su médico de referencia. Algunas de estas personas pueden tener una diabetes no diagnosticada y/o hipertensión arterial oculta, y tan solo siguiendo unos simples pasos y consejos del equipo odontológico podrían ser advertidos sobre esta situación y sus riesgos, así como conseguir un diagnóstico precoz, con los beneficios que esto conllevaría para su salud. Sobre esta premisa se asienta Promosalud, una ambiciosa e innovadora propuesta que pretende facilitar la aplicación en la consulta dental de recomendaciones muy sencillas orientadas a la promoción de la salud bucal y general, detectando factores de riesgo sistémicos en los pacientes odontológicos. La iniciativa, que surge desde la Fundación SEPA de Periodoncia e Implantes Dentales, cuenta con el impulso de la Alianza por la Salud Periodontal y General, una colaboración institucional que reúne ya a más de 40 entidades desde su creación hace más de seis años. Tras presentarse la iniciativa en el marco del pasado Congreso de la Salud Bucal y la Periodoncia, celebrado en Málaga, ahora se da un paso más y se pasa a la acción, con el lanzamiento de recomendaciones SEPA para la detección precoz desde la consulta dental del riesgo de padecer diabetes o hipertensión arterial, consensuadas y avaladas por la Sociedad Española de Cardiología (SEC), la Sociedad Española de Diabetes (SED) y la Sociedad Española de Hipertensión (SEH-LELHA). Este documento se pone a disposición de todas las clínicas dentales

que lo deseen, a través de la web de la Fundación SEPA y de la Sociedad Española de Periodoncia y Osteointegración (SEPA). “Solo tendrán que registrarse y se les remitirá tanto este protocolo como una infografía de apoyo que explica cómo implementarlo en la consulta dental”, informa el Dr. José Nart, presidente de SEPA. Por medio de sencillas infografías, se especifica a qué población se dirige particularmente esta iniciativa, cuándo implementar el protocolo diseñado, en qué orden deben realizarse las tareas aconsejadas, lo que debe registrarse en la consulta dental y qué hacer con los resultados obtenidos.

“Mediante un protocolo muy sencillo, poco invasivo, que requiere poco tiempo de los profesionales y que es realmente económico de implementar, se pretende contribuir en la prevención de estas enfermedades sistémicas y sus importantes complicaciones”, comenta el Dr. Miguel Carasol, coordinador de Promosalud.

En la fase inicial de esta iniciativa, en palabras del Dr. Nart, “pretendemos que las consultas dentales registren la presión arterial de sus pacientes con perfiles de riesgo, para tratar de identificar casos de hipertensión oculta”.

“Con ocho preguntas muy sencillas, o el registro de la hemoglobina glicosilada por punción en un dedo, se consigue sospechar la existencia de diabetes”, apostilla el Dr. Miguel Carasol, por lo que también se fija como objetivo a corto plazo “conseguir que las consultas dentales puedan implicarse en el cribado de casos de diabetes no diagnosticada, efectuando estas sencillas pruebas a personas de riesgo y derivando a su médico de referencia los casos sospechosos para que éste establezca el diagnóstico”. 

EXPERTOS DE SEPA CREAN UN NUEVO PERIODONTOGRAMA PARA FACILITAR LA PREVENCIÓN Y DETECCIÓN PRECOZ DE ENFERMEDADES DE LAS ENCÍAS

Expertos de la Sociedad Española de Periodoncia y Osteointegración (SEPA) han renovado y creado un nuevo periodontograma, que introduce importantes innovaciones y mejoras en comparación con la versión anterior. Esta iniciativa, promovida por la Fundación SEPA y que ha contado con la colaboración de ISDIN- Bexident, se enmarca en el plan de acción 2022-2025 de SEPA para la mejora de las herramientas online dispuestas para los profesionales de la salud bucal.

La nueva versión del periodontograma de SEPA, como apunta la Dra. Beatriz de Tapia, vocal de investigación de Sepa, “es herramienta online destinada a mejorar la prevención y detección precoz de enfermedades periodontales”. El renovado periodontograma será de acceso gratuito para toda la comunidad odontológica y, como novedad, estará disponible en 9 idiomas.

Aparte de su vocación de expansión y difusión internacional, este periodontograma adopta un diseño más moderno, se ha simplificado su uso, permite exportar e importar datos y, en definitiva, “resulta mucho más funcional”, asegura la Dra. De Tapia, quien subraya especialmente el hecho de “ser una herramienta abierta a toda la comunidad nacional e internacional de profesionales, estudiantes, posgrados…”. 

actualidad NOTICIAS 70 eldentistamoderno noviembre/diciembre 2022
C M Y CM MY CY CMY K
71 eldentistamoderno noviembre/diciembre 2022

MÁS DE 2.000 PROFESIONALES DE TODO EL MUNDO ASISTIERON AL 50+1 CONGRESO SEPES GRAN CANARIA

Un total de 2.100 asistentes procedentes de 20 países, 70 conferenciantes, más de 160 comunicaciones presentadas y 50 empresas expositoras avalan el éxito del 50+1 Congreso SEPES Gran Canaria, cita anual imprescindible de la odontología interdisciplinar y la digitalización clínica. Estas cifras sin duda respaldan la buena acogida que el congreso tuvo tanto por parte de los asistentes como de la industria y los ponentes. Estos últimos agradecieron a José Manuel Navarro, presidente del congreso, la oportunidad que suponía para ellos coincidir como panelistas en un mismo programa con los más reconocidos expertos a nivel mundial. Navarro realzó este dato indicando que “pocas veces en ningún congreso del mundo se reúne a tantos expertos de tantas ramas diferentes y de tanto nivel”.

Prestigiosos clínicos internacionales como Dennis Tarnow -recibió el reconocimiento de Socio de Honor de SEPES-, Rick Roblee, Rony Jung, Markus Blatz, Alberto Sicilia, Eduardo Anitua, Nelson Silva Nitzan Bichacho y Tidu Mankoo, entre otros, compartieron la atención de los asistentes con sesiones interdisciplinares. Asimismo destacó la relevancia de los clínicos y técnicos españoles que participaron como ponentes y que colgaron el cartel de “completo” en las salas donde impartieron sus conferencias, evidencia de la calidad clínica de la Odontología española. El apoyo institucional a todos los niveles ha sido muy destacado. La ministra de Sanidad, Carolina Darias, clausuró el primer día la Asamblea General Ordinaria de SEPES destacando en su intervención la importancia de la celebración de foros como el congreso “para avanzar en la necesaria conexión entre la salud general y la salud bucodental”. El Consejo General de Dentistas estuvo representado también en uno de los actos institucionales con la presencia de su vicepresidente, Francisco José García Lorente, en la mesa de inauguración oficial del congreso junto al presidente del Colegio Oficial de Dentistas de Las Palmas, Francisco Cabrera Panasco, y los presidentes de SEPES y del congreso, Guillermo Pradíes y José Manuel Navarro, respectivamente.

Como indicaba el presidente de SEPES, Guillermo Pradíes, director del Master de Odontología Restauradora basado en las nuevas tecnologías de la UCM, “uno de los temas mas atractivos del programa ha sido el papel de la inteligencia artificial como herramienta aplicada a la Odontología. Desde las planificaciones virtuales de simulaciones de sonrisa a la aportación de algunos escáneres con sistemas de detección de caries que pueden incluso llegar a evitar el uso de técnicas radiológicas, el papel de la inteligencia artificial crece día a día en su ámbito de aplicación dentro de la Odontología. Ejemplos de aplicación sencillos para nuestros pacientes, en sus propias casas, son los cepillos eléctricos inteligentes que ayudan al paciente a realizar un cepillado más eficiente mediante su propia aplicación en el móvil. Los protocolos de digitalización y las nuevas tecnologías en general han sido, sin duda, protagonistas en este congreso y han puesto de manifiesto la evolución en la que está inmersa la Odontología y los nuevos retos hacia los que se dirige en un futuro próximo. En palabras de José Manuel Navarro “suman al avance de la odontología y a la salud bucodental de todos los españoles”.

Durante los tres días de congreso, dentistas, técnicos de laboratorio, higienistas dentales y personal auxiliar de las clínicas, han tenido la oportunidad de acercarse a los productos y servicios de 50 de las mejores empresas de la industria dental internacional que participaron en la exposición comercial. La parte lúdica del congreso estuvo protagonizada por la fiesta SEPES White Night que se celebró la segunda jornada y a la que acudieron de blanco mas de 600 congresistas. En esta velada se procedió a la entrega de la Medalla de Oro que anualmente SEPES concede a uno de sus miembros y que este año ha sido para Arturo Ruiz-Capillas, presidente de SEPES de 1997 a 2000 y presidente de la 26 Reunión Anual SEPES en Santander. Además del ambicioso programa desarrollado durante los últimos tres días bajo el lema de ‘50+1 años juntos, ¿cómo lo hacíamos?, ¿cómo lo hacemos?, ¿cómo lo haremos?’, en el marco del congreso se hizo entrega de los premios y becas de formación clínica e investigación en prótesis estomatológica y estética dental que concede anualmente SEPES. Además, se han reconocido las seis mejores comunicaciones científicas, clínicas y de investigación de entre las 163 defendidas en el Congreso, quedando patente la excelencia del trabajo que se está desarrollando actualmente en el ámbito universitario y en la odontología clínica española, que se encuentra en la vanguardia internacional. Asimismo, se hizo entrega de la beca anual SEPES Solidaria en favor de los proyectos de promoción de la salud bucodental que se desarrollan en territorio nacional. La Fundación Odontología Social Luis Séiquer, la Fundación Smile is a Foundation, la Fundación Dental Guipuzcoana y el Colegio de Dentistas de León, todos ellos con proyectos de atención bucodental a población con riesgo de exclusión social o desplazados por conflictos armados, fueron las entidades favorecidas por la beca SEPES Solidaria 2022. 

actualidad NOTICIAS 72 eldentistamoderno noviembre/diciembre 2022
La Ministra de Sanidad, Carolina Darias, acudió al congreso para clausurar la Asamblea General Ordinaria de socios de SEPES

ZARAGOZA ACOGE A MÁS DE 1.000 ENDODONCISTAS DE TODA ESPAÑA EN EL 42 CONGRESO NACIONAL DE AEDE

Zaragoza acoge a más de 1.000 endodoncistas en el 42 Congreso Nacional de la Asociación Española de Endodoncia (AEDE), que se celebró del 27 al 29 de octubre en el Auditorio Palacio de Congresos.

La jornada inaugural ha estado dedicada a la traumatología dental, un tema de especial relevancia ya que más de 180.000 aragoneses han sufrido un golpe en la boca a lo largo de su vida, según los datos europeos de prevalencia. Los colectivos más afectados son los niños y los deportistas, y así lo constatan los datos del Servicio Aragonés de Salud que atendió a más de 300 menores de 14 años en los últimos cuatro años. Si se sigue un protocolo adecuado, el 80% de los dientes que salen de la boca por un golpe pueden salvarse. ‘Yo salvo dientes’ es el lema del congreso y de esta sociedad científica que persigue el objetivo de preservar la dentición natural. “El cuerpo es una máquina perfecta y debemos salvaguardar los dientes originales. La extracción no debe ser la primera opción, existen técnicas médicas y odontológicas que permiten conservarlos en un altísimo porcentaje”, explica el presidente de la 42 edición del Congreso de AEDE, el oscense Óscar Alonso, quien ha planteado un programa eminentemente nacional y abierto al mundo a través de endodoncistas españoles de renombre internacional. Además, el Dr. Alonso ha destacado que este Congreso está planteado desde la interrelación de la Endodoncia con otras áreas de la odontología como la cirugía, la odontopediatria, la prevención, etc.

Desde AEDE advierten de que el 96% de las personas que sufren un golpe no saben que los dientes permanentes pueden reimplantarse en 8 de cada 10 casos; eso sí, siempre que se den los pasos adecuados. Conocer esta posibilidad y acudir a un endodoncista merece la pena, ya que el 14% de los españoles ha padecido un traumatismo dental, un porcentaje que aumenta hasta el 50% en los menores de 16 años y en los deportistas.

A pesar de que normalmente los pacientes suelen acudir a odontólogos privados, las cifras que arroja el Programa de Atención Bucodental del Servicio Aragonés de Salud sobre los traumatismos dentales en menores de 14 años ponen de manifiesto la relevancia de estos accidentes en los niños. Una media de 75 menores sufre cada año golpes en la boca y suman más de 300 atendidos por la sanidad pública de Aragón en los últimos 4 años. En 2020 el número total de niños que acudió con un traumatismo a los centros de salud bajó un 10% con respecto al año anterior, debido a la menor realización de juegos o deportes de contacto por la pandemia. Al año siguiente, las cifras no sólo volvieron a su horquilla habitual, sino que aumentaron un 20% hasta llegar a los 76 casos. Y las cifras siguen en aumento, ya que hasta junio de 2022 ya se han

atendido a 47 niños por traumatismo dental. “Los menores son uno de los grupos más vulnerables y los golpes provocados por juegos o deportes son la causa de muchas consultas odontológicas”, advierte Óscar Alonso.

Para que los profesores, deportistas y entrenadores conozcan cómo actuar ante este tipo de accidentes, AEDE ofreció el jueves 27 a las 16.30 horas un curso gratuito en el Auditorio Palacio Congresos sobre los protocolos a seguir, impartido por el doctor zaragozano Luis Baroni Cañizares, endodoncista. A las 20.30 horas tuvo lugar la inauguración oficial a la que asistieron distintas autoridades, entre ellas la consejera de Sanidad del Gobierno de Aragón, Sira Repollés. “Somos una sociedad científica comprometida con la investigación y la correcta práctica de la Endodoncia, pero no podemos olvidarnos de la labor divulgativa y de que seguir los protocolos adecuados tras un traumatismo dental para ayudar a salvar dientes, nuestro principal objetivo”, explica el presidente de AEDE, Leopoldo Forner. Además, el Dr. Forner quiso recordar que “es infinitamente más rentable la prevención que realizar cualquier tratamiento, tanto en tiempo como en coste”. Asimismo, añadió que “las nuevas tecnologías como las técnicas de diagnóstico, modelos de simulación, terapéuticas, endodoncia guiada..., nos ayudan a ser más precisos en diagnóstico y tratamiento”. 

73 eldentistamoderno noviembre/diciembre 2022

LA I REUNIÓN CONJUNTA SECIB-SEOP PONE DE MANIFIESTO LA EXTREMA PARTICULARIDAD DEL TRATAMIENTO QUIRÚRGICO EN NIÑOS

La I Reunión Conjunta SECIB-SEOP celebrada en Sevilla los días 21 y 22 de octubre ha puesto de manifiesto la extrema particularidad del tratamiento quirúrgico en el paciente odontopediátrico. Entre las principales conclusiones destaca la importancia del diagnóstico, la planificación, así como manejo preoperatorio y operatorio del niño para el éxito de los tratamientos. David Gallego, coordinador el encuentro por parte de SECIB, ha valorado muy positivamente esta primera reunión conjunta con la Sociedad Española de Odontopediatría (SEOP).

La cita científica -coordinada también por la doctora María Biedma por parte de SEOP- ha reunido a más de 80 profesionales, lo que ha supuesto “todo un éxito de participación”, según los organizadores. Con el paciente infantil y sus necesidades quirúrgicas como eje central, todos los temas abordados han sido tratados desde una doble perspectiva -quirúrgica y odontopediátrica- con el objetivo de aunar los aspectos relativos a ambas especialidades odontológicas y ofrecer así un manejo multidisciplinar de los pacientes infantiles que requieran ser intervenidos quirúrgicamente.

De forma paralela a la I Reunión Conjunta SECIB-SEOP, se ha celebrado en Sevilla la XXI Reunión de Jóvenes Odontopediatras, presidida por la Dra. Paloma Planells. 

MÁS DE 120 PROFESIONALES ASISTEN AL XVI CONGRESO SELO EN BURGOS

los que supone una actualización. Este curso lo dictaron el Dr. Josep Arnabat, el Dr. Antoni España y la Dra. Maria J. Pérez. El Congreso comenzó con la Asamblea General de la Sociedad, en el transcurso de la cual se eligió Zamora en febrero de 2024 como sede del siguiente congreso, y en el 2023 se hará una Jornada de actualización y capacitación para todos los usuarios de láser sean o no miembros de la SELO y ésta tendrá como sede Madrid. El encargado de abrir el congreso fue el Dr. Primitivo Roig con su ponencia “Que la fuerza te acompañe”, quien puso al día a los asistentes en el tema de la gestión de la clínica y de la gestión del tiempo por parte de los profesionales.

Los pasados días 4 y 5 de noviembre tuvo lugar en Burgos el XVI Congreso de la Sociedad Española de Láser y Fototerapia en Odontología (SELO), bajo la presidencia del Dr. Alfredo Aragües, en la Fundación Caja Viva de Caja Rural. El curso Precongreso contó con 25 asistentes, en la Capacitación para dentistas, miembros de la Sociedad, un curso básico y fundamental para todos los usuarios de láser; interesante tanto para los usuarios iniciales como para los que ya conocían la tecnología, para

Las ponencias de la tarde corrieron a cargo del Dr. Francisco Rodríguez Escudero, que habló del tratamiento no quirúrgico de la enfermedad periodontal y periimplantaria, para seguir con dos ponencias sobre la utilización de la tecnología láser en endodoncia, a cargo de dos endodoncistas exclusivos. El Dr. Miguel Martins habló de su práctica en endodoncia con el láser de Er,Cr: YSGG y el láser de diodo, y la Dra. Tsira Sukhashvili describió sus protocolos con láser de diodo.

El sábado supuso una jornada doble, por un lado, continuó el Congreso para Dentistas y, por otro, se inició la X Reunión de Higienistas y Auxiliares.

El Congreso terminó con dos mesas redondas, que despertaron mucho interés en los asistentes y serán actividades que se repitan en futuros congresos. 

actualidad NOTICIAS 74 eldentistamoderno noviembre/diciembre 2022
De izquierda a derecha, David Gallego (SECIB) y María Biedma (SEOP), coordinadores de la reunión, y Daniel Torres y Asunción Mendoza, presidentes de SECIB y SEOP, respectivamente. En la imagen, la Junta Directiva de la SELO, en el XVI Congreso SELO Burgos.
75 eldentistamoderno noviembre/diciembre 2022 ENVÍANOS TUS IMPRESIONES DIGITALES: LÍDERES EN LA ELABORACIÓN DE PRÓTESIS DENTALES Corona de zirconio 59,90 € 49,90 € Antes Ahora  +34 910 059 139  info@expadent.com www.expadent.com *Las fotografías de este anuncio corresponden a trabajos realizados en nuestro laboratorio YA DISPONIBLE EXPADENT APP Hemos mejorado nuestro sistema de gestión, y ahora cualquiera de nuestros clientes podrán realizar los pedidos directamente desde nuestra aplicación, intuitivamente. También permite hacer un seguimiento total del proceso de fabricación y de envío del pedido realizado. AHORA QUE TODO SUBE, NOSOTROS BAJAMOS PRECIOS

EL XXVII CONGRESO NACIONAL DE SESPO REÚNE A MÁS DE 180 CONGRESISTAS EN TOLEDO

portavoz del Ayuntamiento de Toledo y concejala delegada de Obras y Servicios, Agenda Urbana, Transición ecológica y Relaciones Institucionales; y María Teresa Marín Rubio, directora general de Humanización y Atención Sociosanitaria de la Consejería de Sanidad de Toledo, se contó con la participación virtual de la ministra de Sanidad, Carolina Darias San Sebastián, donde adelantó el nuevo Plan de Salud Bucodental, sus objetivos y la Orden ministerial por la que se establece la amplicación de las prestaciones a los colectivos priorizados en el mismo.

El Palacio de Congresos de la ciudad de Toledo acogió los pasados días 30 de septiembre y 1 de octubre el XXVII Congreso Nacional de la Sociedad Española de Epidemiología y Salud Pública Oral (SESPO), una cita que reúne anualmente a los profesionales de la salud pública oral y que en esta edición ha logrado congregar a más de 180 congresistas de toda España y parte del extranjero. El programa de trabajo de este año, tanto en las conferencias como en los talleres paralelos, impartidos por ponentes nacionales e internacionales de máximo nivel, ha presentado diversas aportaciones cuyo nexo de unión fundamental queda resumido en el lema del Congreso: “Salud oral, reto social”. En la inauguración del Congreso, en la que estuvieron presentes Verónica Ausina Márquez, presidenta de SESPO; Noelia de la Cruz Chozas,

En la línea de anteriores ediciones, se presentaron 17 comunicaciones científicas y 14 posters de gran nivel, en la que los Congresistas dieron a conocer los avances y el futuro de la salud pública oral, entre los que destacaron el póster “La alimentación complementaria a comer en familia; una intervención en educación nutricional”, cuyos autores fueron Josep Busquet Vila, Marta Figueras Cabanes y Martina Busquet Vila; y la comunicación oral “Impacto de la implementación de una consulta externa ambulatoria para pacientes con discapacidad en Jaén”, de Antonio Expósito Delgado, ganadores ambos de los premios en cada categoría. Adicionalmente, se entregó la beca SESPO para jóvenes investigadores a David González Alarcón, con su propuesta “Estudio de la eficacia en el modelo preventivo de la salud oral escolar, basado en el uso del fluoruro diamínico de plata, como campo de investigación-acción en la Universidad de Montaigne, República de Camerún”. 

GRANADA ACOGE EL 33 CONGRESO NACIONAL DE HIGIENISTAS

Bajo el lema “La prevención en manos de todos”, Granada acogió los días 21 y 22 de octubre el 33 Congreso Nacional de HIDES y cuya ceremonia de inauguración corrió a cargo de Indalecio Sánchez Montesinos, Delegado Territorial de la Consejería de salud y consumo en Granada; el presidente del Congreso, Francisco Jesús Martínez Sánchez; y la presidenta de HIDES en funciones, Eva López de Castro. El encuentro se dedicó a Begoña Alonso Suárez, recientemente fallecida, por su gran labor en HIDES y por la lucha incansable por mejorar la situación del colectivo.

Más de 250 asistentes, entre los que se encontraban higienistas, ponentes y la industria dental, se dieron cita en el Hotel Granada Congress. Higienistas de todos los puntos de España de Norte a Sur y de todas las islas Baleares y Canarias, así como de Suiza, Italia y Reino Unido.

Además, durante la celebración del Congreso, tuvo lugar la presentación de la nueva incorporación a la Federación, HIDES Canarias.

El 33 Congreso Nacional de Higienistas se clausuró con la entrega de premios HIDES-DENTAID 2022, cuyo Premio Trabajo Científico recayó en Irene Arruebo (Huesca). El Premio Póster se repartió entre Gema Antúnez (Málaga) y Celia Almagro (Jaén). 

actualidad NOTICIAS 76 eldentistamoderno noviembre/diciembre 2022
77 eldentistamoderno noviembre/diciembre 2022 ¡Cepillarse los dientes nunca fue tan divertido! Fluocaril KIDS & Junior ¡Descubre nuestros videos! Venta en farmacia y parafarmacia

CERCA DE 1.000 PROFESIONALES PARTICIPAN EN LAS JORNADAS BTI DAY’22 CELEBRADAS EN VITORIA Y MADRID

La compañía BTI, dirigida por el doctor Eduardo Anitua, ha celebrado una nueva edición de su reunión anual para mostrar sus últimos avances en implantología oral y medicina regenerativa ante cerca de un millar de profesionales de la salud en el marco de las jornadas BTI Day’22 de Vitoria y Madrid.

BTIBiotechnology Institute, compañía especializada en implantología oral, medicina regenerativa y trastornos del sueño, ha celebrado los pasados 5 y 19 de noviembre las jornadas científicas BTI Day´22 en el Palacio de Congresos Europa de Vitoria y en el Teatro Goya de Madrid, respectivamente. Una nueva edición de la reunión anual de la compañía vitoriana en la que se presentaron las últimas novedades desarrolladas por el equipo de I+D de BTI encabezado por el doctor Eduardo Anitua.

Bajo el lema “Juntos hacia la excelencia”, se desarrollaron unas jornadas fundamentadas en la ciencia, la evidencia, la biología y el pensamiento crítico, en las que se realizó una puesta al día sobre diversos temas de gran interés clínico, como el tratamiento del alveolo post-extracción, el paso de lo analógico a lo digital y su repercusión en los protocolos clínicos o en el diseño y elaboración de los dispositivos intraorales, así como las nuevas aplicaciones del plasma rico en factores de crecimiento en el tratamiento del dolor crónico de espalda.

actualidad INDUSTRIA 78 eldentistamoderno noviembre/diciembre 2022

De lo analógico a lo digital: cómo han cambiado los protocolos Durante las jornadas del BTI Day’22 en Madrid las ponencias se dividieron en tres bloques dedicados a la implantología oral, la medicina regenerativa y los dispositivos intraorales.

En el primer bloque, dedicado a la implantología oral, se habló de la transición de lo analógico a lo digital y de los cambios en los protocolos de carga inmediata, así como de conexión conexión protésica y su relevancia clínica; el tratamiento del alveolo post-extracción; y me-

joras en el diseño protésico para un resultado predecible. Por último, este primer bloque se cerró con una mesa redonda titulada “Claves para diseñar un plan de tratamiento”, en la que participaron los Dres. Ricardo Fernández, César Muelas, Eduardo Crooke y Eduardo Anitua. Con la medicina regenerativa como protagonista, en el segundo bloque se presentaron las nuevas aplicaciones de Endoret® (PRGF) en el dolor crónico de espalda.

Y, por último, en el tercer bloque dedicado a los dispositivos intraorales se habló acerca de la optimización de las férulas oclusales mediante flujo digital, además de apuntar indicaciones y manejo de DIA (Dispositivo Intraoral Apnia).

Al igual que en anteriores ediciones del BTI Day, además de los temas científicos, tuvieron cabida otros contenidos divulgativos y de entretenimiento, entre los que destacó la actuación en Madrid del cantante y compositor Aldo Narejos y, como es habitual desde hace años, el conductor y moderador de las jornadas de Vitoria y Madrid fue José Luis Izquierdo (Mago More). 

79 eldentistamoderno noviembre/diciembre 2022

Debemos adecuarnos y entender muy bien la biomecánica y la biología, que están totalmente unidas, a la hora de enfrentarnos al concepto de carga inmediata y diferida, y entender así las diferencias entre ambas ”
Dr. Eduardo Anitua, Presidente y Director Científico de BTI Biotechnology Institute
Aldo Narejos, CEO de Canciona, compuso una canción en vivo con las notas que había tomado durante la jornada.

MÁS DE 600 ASISTENTES PARTICIPAN EN EL CONGRESO ITI IBÉRICO QUE ANALIZA LAS TECNOLOGÍAS EMERGENTES PARA MEJORAR EL ÉXITO CLÍNICO

M adrid acogió los días 21 y 22 de octubre el Congreso ITI Ibérico que reunió a más de 600 profesionales del sector de la salud dental, entre ellos, doctores e higienistas que participaron en dos días de conferencias con el objetivo de analizar las últimas tecnologías emergentes que buscar mejorar los tratamientos clínicos. Un programa muy completo con profesionales de alto nivel dentro del sector dental nacional e internacional, con dos sesiones divididas en bloques de especialización. La jornada del viernes estuvo muy centrada en el manejo de los tejidos blandos, las nuevas tecnologías y la regeneración ósea y sus alternativas. Sesiones que analizaron los factores críticos de la salud periimplantaria, las complicaciones estéticas o el manejo de los tejidos blandos en implantología inmediata. En el área del manejo de los tejidos blandos, destaca la intervención de uno de los

ponentes internacionales, el Dr. German Gallucci, conferenciante internacional, actualmente preside el Departamento de Odontología Restauradora y Ciencias de Biomateriales y es miembro de la Escuela de Medicina Dental de Harvard, para explicar información sobre protocolos de carga y su colocación en la era digital. Por la tarde, la sesión estuvo más enfocada en las nuevas tecnologías. En la jornada del sábado el programa estuvo centrado en la periimplantitis, desde la situación actual de la enfermedad, las claves para la desinfección de superficies de implantes y la cirugía resectiva, entre otros. En la sesión de la tarde, se diseñó un bloque específico en colaboración con SEPA, en el participó una de las eminencias internacionales invitada al congreso, el Dr. Jen Derks, periodoncista, asociado a la Universidad de Gotemburgo para hablar sobre el diagnóstico y manejo de enfermedades periimplantarias. 

INVESTIGADORES COINCIDEN EN QUE EL USO DE COLUTORIOS CON CHX Y CPC PREVIO AL PROCEDIMIENTO

DENTAL

PODRÍA PROTEGER AL PERSONAL DE LA CLÍNICA DENTAL Y A LOS PACIENTES

Investigadores subrayan la importancia de establecer un protocolo de protección previo al procedimiento dental, que incluya el uso de enjuagues bucales con antisépticos de alta eficacia para controlar la carga bacteriana y vírica a lo largo de los procedimientos odontológicos. Esta ha sido una de las conclusiones del Simposio “¿Qué ha aprendido la odontología de la pandemia?”, celebrado en el marco del PER-IADR en Marsella, en el que se realizó una retrospectiva de las medidas recomendadas en odontología para protegerse de las infecciones por el coronavirus SARS – CoV-2, tras más de dos años de pandemia. La situación en la consulta dental fue analizada por el Dr. Fridus van der Weijden, de ACTA, Países Bajos, en su conferencia “Aerosoles en el entorno dental: un tema brumoso”. Los estudios han demostrado que los microorganismos de la boca y las vías respiratorias pueden ser transportados en estos aerosoles y salpicaduras. Éstos pueden contaminar las membranas mucosas de la boca, las vías respiratorias y los ojos del profesional de la salud dental, así como las superficies y los materiales expuestos en el

entorno. Por ello, es importante prevenir la transmisión de enfermedades en la consulta dental.

El Dr. David Herrera, catedrático de Periodoncia de la Universidad Complutense de Madrid (España) y presidente de este Simposio, destacó la importancia de los cuidados bucodentales como parte de las recomendaciones de salud preventiva, así como de las revisiones dentales periódicas, también y especialmente en situaciones de pandemia, para prevenir factores de riesgo evitables. En este contexto, ve indicado el uso de enjuagues bucales antisépticos, no sólo para evitar la transmisión del virus, sino también para mantener la salud periodontal en los grupos de riesgo. Se ha demostrado que la combinación de cloruro de cetilpiridinio (CPC) y clorhexidina (CHX) produce una potente acción antiséptica, que puede dar lugar a una rápida reducción de la carga bacteriana y vírica en la cavidad bucal, reduciendo la propagación de bioaerosoles infecciosos. Así, esta sencilla medida puede ser muy eficaz para proteger al personal del consultorio y a los pacientes. 

actualidad INDUSTRIA 80 eldentistamoderno noviembre/diciembre 2022

CLÍNICAS W PRESENTA SU ESTUDIO DE SALUD BUCODENTAL 2022 EN ESPAÑA

Con el objetivo de evaluar la percepción que los pacientes tienen de su sonrisa, conocer hábitos y problemas de salud bucodental y el uso de los servicios odontológicos, Clínicas W ha presentado la primera edición de su estudio de salud bucodental 2022 en España.

Tal y como destacó durante la presentación el Dr. Primitivo Roig, fundador de la red de Clínicas W, el estudio -cuya población está formada por los pacientes del conjunto de Clínicas W (muestra de 2.500 participantes)- concluye que los participantes atribuyen a la sonrisa una asociación directa con la felicidad y las relaciones personales.

Además, la mayoría están satisfechos con la estética de sus dientes. No obstante, según señaló el Dr. Primitivo Roig, “en cualquier caso hasta un 61% mejoraría la estética de su sonrisa”.

Por otro lado, el estudio concluye que el paciente está bastante sensibilizado sobre la importancia de la salud bucodental y valora los beneficios de la prevención. “De hecho, se ha registrado

una alta preocupación por la pérdida dentaria”, señaló el fundador de Clínicas W.

También destacó que la frecuencia de cepillado es alta. Según el estudio, “casi el 90% de los encuestados se cepillan los dientes al menos dos veces al día”, apuntó el Dr. Primitivo Roig.

Respecto a la frecuencia de visitas al dentista, el estudio presentado por Clínicas W señala que el 71% ha realizado una visita al dentista en los últimos seis meses, siendo las revisiones y las limpiezas las principales razones de la consulta.

En líneas generales, los datos recogidos indican que “no hay barreras para visitar con regularidad al dentista, siendo los costes y la falta de tiempo las más nombradas”. Además, desaparece el temor al contagio por Covid-19.

En cuanto a la elección de la clínica dental, el Dr. Primitivo Roig explicó que “la recomendación de amigos y familiares y la confianza tras la primera visita son las razones más habituales para elegir una clínica dental”. 

81 eldentistamoderno noviembre/diciembre 2022

LOS V SANITAS DENTAL STAR PREMIAN UN CASO CLÍNICO DE ABORDAJE MULTIDISCIPLINAR DE LA PERIODONTITIS

La noche del 17 de noviembre tuvo lugar en Madrid la gala de entrega de la quinta edición de los Premios Sanitas Dental Star, en los que el Premio Mejor Caso Clínico Multidisciplinar Dental Star ha reconocido el trabajo del odontólogo Antonio Nobili y colaboradores, que han presentado el caso clínico “Tratamiento multidisiciplinar de un paciente con periodontitis estadio III grado C”. Este caso muestra la importancia del trabajo multidisciplinar en un caso de periodontitis estadio III grado C y una maloclusión bilateral con mordida cruzada canina. El equipo ha abordado el caso mediante diversas técnicas y disciplinas como cirugías periodontales, colocación de implantes para reemplazar las ausencias, tratamiento ortodóntico con multibrackets que concluyó en el aspecto restaurador y estético, resultando en un caso multidisciplinar de gran complejidad. Gracias a este tratamiento de éxito el paciente ha recuperado su función tanto masticatoria como estética y además se ha detenido la enfermedad periodontal, que como sabemos

se trata de una patología crónica. Este caso clínico ha sido premiado con 10.000 euros para los autores.

“Celebramos la quinta edición de nuestros Sanitas Dental Star, unos premios que reconocen el trabajo y gran labor que realizan los odontólogos, médicos estomatólogos y cirujanos maxilofaciales de nuestro país”, afirmó Jesús Bonilla, director general de Sanitas Dental. “Una nueva edición en la que hemos contado con trabajos de altísimo nivel, donde la excelencia clínica e innovación marcan el trabajo de estos grandes profesionales”, comentó Bonilla, destacando no sólo el “excelente nivel técnico de las candidaturas presentadas”, sino también “la apuesta por la digitalización y la pasión por la profesión”.

El accésit de este año en la categoría Experta, dotado con 7.000 euros, ha recaído en el odontólogo Jaime Molinos con el caso “B.O.P.T. en paciente con avulsión de 11, 21 y 22. Cirugía guiada con carga inmediata y prótesis

actualidad INDUSTRIA 82 eldentistamoderno noviembre/diciembre 2022
definitiva Full Digital”. Los V Premios Sanitas Dental Star celebran la gala de entrega de estos galardones premiando un caso clínico que muestra la importancia del trabajo multidisciplinar en un caso de periodontitis estadio III grado C y una maloclusión bilateral con mordida cruzada canina. En la imagen, el odontólogo Antonio Nobili (en el centro) recogiendo el Premio Mejor Caso Clínico Multidisciplinar Dental Star por el caso clínico “Tratamiento multidisiciplinar de un paciente con periodontitis estadio III grado C”.

El accésit de este

83 eldentistamoderno noviembre/diciembre 2022

En la imagen, el odontólogo David Palombo que recogió el premio en la categoría Sanitas Dental Academic por su caso “Tratamiento de recesiones linguales profundas en el quinto sextante con una técnica modificada de túnel cerrado lateralmente: a propósito de un caso”.

El premio en la categoría Sanitas Dental Academic ha recaído en el caso “Tratamiento de recesiones linguales profundas en el quinto sextante con una técnica modificada de túnel cerrado lateralmente: a propósito de un caso”, presentado por el odontólogo David Palombo, y que cuenta con un reconocimiento económico de 7.000 euros. Este caso se basa en el tratamiento de un paciente con recesiones linguales profundas tratadas a través de una técnica de túnel cerrado lateralmente combinada con dos colgajos y un injerto de tejido conectivo, un tratamiento muy innovador sobre una temática de la cual apenas hay literatura descrita en la actualidad. “Este premio tiene como objetivo poner en valor el trabajo de los estudiantes y, por tanto, del futuro de la odontología. Creemos en la excelencia y la profesionalización de todos los que trabajan en el sector, y esta categoría está enfocada a fomentar la calidad clínica entre los futuros profesionales de la odontología. Este premio supone un reconocimiento al esfuerzo de los odontólogos que apuestan por la formación constante”, destacó el director general de Sanitas Dental. En esta quinta edición de los Sanitas Dental Star se ha abierto una nueva categoría, la Sanitas Dental Start Daily Clinic, que busca premiar la excelencia clínica del día a día en el gabinete, con un galardón de 7.000 euros. Este premio ha sido para el caso “El reto de rehabilitar dentaduras severamente desgastadas con riesgo de osteonecrosis por medicamentos”, realizado por el odontólogo Marc Junquera. 

Foto de grupo del jurado de los V Premios Sanitas Dental Star, responsables de Sanitas y premiados, durante la gala de entrega de los galardones. El odontólogo Marc Junquera (en el centro), con su caso “El reto de rehabilitar dentaduras severamente desgastadas con riesgo de osteonecrosis por medicamentos”, fue el ganador de la nueva categoría Sanitas Dental Start Daily Clinic, que busca premiar la excelencia clínica del día a día en el gabinete. año en la categoría Experta, dotado con 7.000 euros, ha recaído en el odontólogo Jaime Molinos con el caso “B.O.P.T. en paciente con avulsión de 11, 21 y 22. Cirugía guiada con carga inmediata y prótesis definitiva Full Digital”, cuyo reconocimiento fue recogido por su hermana (en la imagen).

Align Technology presenta Invisalign Moderate package para la corrección de maloclusiones de leves a moderadas

constantes para mejorar el control de los movimientos de los dientes; y SmartForce™, unos attachements y características diseñadas en los aligners que proporcionan las fuerzas precisas cuando son necesarias para conseguir movimientos dentales más predecibles. Invisalign Moderate package también incluye opciones personalizables como los indicadores de cumplimiento, los cortes de precisión, las rampas de mordida y la reducción interproximal (IPR), como el Invisalign Comprehensive package solo que con menos etapas, ya que el tratamiento puede completarse en una media de 5 a 12 meses.

Según Markus Sebastian, vicepresidente ejecutivo y director general para la región EMEA de Align Technology, “las maloclusiones leves a moderadas son las más frecuentes entre la población. Gracias al Invisalign Moderate package, los doctores formados en Invisalign podrán ofrecer más opciones de tratamiento a sus pacientes. Proporciona una mayor flexibilidad para ayudar a los doctores a adaptar su tratamiento en función de las necesidades únicas de sus pacientes”.

Align Technology, empresa mundial de dispositivos médicos que diseña, fabrica y comercializa el sistema Invisalign, los escáneres intraorales iTero y los servicios CAD/CAM exocad para ortodoncia y odontología restauradora, ha anunciado el lanzamiento del Invisalign Moderate™ package en Reino Unido, Irlanda, Alemania, Austria, Suiza, Francia, España, Portugal e Italia a finales de este año. Los doctores pueden considerarla como una alternativa para aquellos pacientes para quienes el paquete Invisalign Comprehensive es más de lo que necesitan a nivel clínico. Invisalign Moderate package es una opción de tratamiento con aligners transparentes de un máximo de 20 etapas dentro de la cartera de productos del sistema Invisalign, diseñada para que los doctores traten maloclusiones de leves a moderadas, como apiñamiento y espaciado, problemas anterioposteriores y discrepancias verticales. Incluye los tres elementos clave que potencian el sistema Invisalign: la tecnología SmartStage™ para programar cada movimiento de los dientes en una secuencia determinada en el momento adecuado para conseguir mayores resultados y previsibilidad del tratamiento; SmartTrack™, el material de los aligners patentado por Align, que proporciona fuerzas suaves y más

En palabras de Lee Taylor, vicepresidente de marketing para la región EMEA de Align, “la incorporación del Invisalign Moderate package puede beneficiar a los pacientes que tenían la impresión de que no podían optar a un tratamiento Invisalign. Es una parte esencial de la cartera de Invisalign, entre Invisalign Lite e Invisalign Comprehensive”.

Invisalign Moderate se lanzó en Turquía como programa piloto en 2020. El Dr. Sinem Ceylanoglu, de Estambul, comenta que “llevo dos años utilizando el Invisalign Moderate package y funciona muy bien con los pacientes. En algunos casos de restauración para adultos que requieren un tratamiento relativamente corto de 16-18 a 20 aligners, es una muy buena opción para que los pacientes se comprometan y cumplan. Los adolescentes también son buenos candidatos para el Invisalign Moderate package, ya que se sienten motivados por la menor duración del tratamiento y lo cumplen más fácilmente”.

Invisalign Moderate package estará disponible en Reino Unido, Francia, Italia, Alemania, Portugal y España a finales de este año.

Align Technology www.aligntech.com

Corus ha presentado en SEPES Summa Implant, un protocolo 100% digital que integra sus productos Instant (carga instantánea) e Ilum (solución de zirconio).

Este nuevo protocolo permite planificar, provisionalizar y finalizar rehabilitaciones full arch reduciendo el tratamiento a tan solo 4 visitas, gracias al trabajo en un flujo 100% digital, a la planificación protésicamente guiada, la provisionalización inmediata simple y la

restauración final predecible; basándose en un solo diseño de la nueva restauración. Summa Implant mejora la experiencia del clínico y del paciente en grandes rehabilitaciones implantológicas, incrementando la eficiencia y la predictibilidad y permitendo un mayor control del tratamiento (tiempo, número de visitas, costes, etc).

Corus www.corusdental.com

novedades MATERIALES, INSTRUMENTAL Y EQUIPO 84
eldentistamoderno noviembre/diciembre 2022
Implant, el nuevo protocolo de Corus que permite hacer rehabilitaciones full arch en 4 visitas
Summa

El sistema Invisalign Go™ Express, la última incorporación a la cartera de Invisalign Go™ para odontólogos generales

Align Technology, Inc. ha sacado al mercado el sistema Invisalign Go™ Express, la última incorporación al portafolio de Invisalign Go™, en España. El sistema de aligners transparentes Invisalign Go™ Express es una opción de tratamiento eficaz para pacientes adultos que necesitan correcciones de malposiciones menores, como espaciamientos leves, apiñamientos y recaídas ortodónticas. Utiliza la misma tecnología patentada que el resto de la gama Invisalign Go, combinando el material Invisalign SmartTrack™, las características SmartForce™ y la tecnología SmartStage™, lo que permite obtener resultados más predecibles1

El sistema Invisalign Go™ Express puede ser usado de manera independiente o formar parte de planes de tratamiento multidisciplinares. Según Abhishek Ganguly, vicepresidente de ventas de Align Technology, GP Channel EMEA, “la demanda de tratamientos estéticos está creciendo entre los pacientes. La introducción del nuevo sistema Invisalign Go Express proporcionará un ámbito de práctica ampliado a los dentistas para tratar maloclusiones menores o correcciones estéticas con el sistema Invisalign”.

La alineación como base de odontología integral ofrecida por los odontólogos Lanzado por primera vez en la región de Europa, Oriente Medio y África (EMEA) en 2016 como un tratamiento de aligners de 20 etapas, el sistema Invisalign Go está diseñado para que los odontólogos traten las maloclusiones de leves a moderadas e integren la alineación de los dientes en el cuidado dental restaurativo. El sistema Invisalign Go Plus, lanzado en 2020, ofrece una opción de tratamiento de 26 etapas para corregir los dientes anteriores hasta el primer molar, incluido, en un periodo de 6 a 12 meses. El nuevo sistema Invisalign Go Express es una opción de tratamiento de hasta 7 etapas. En palabras de Lee Taylor, vicepresidente de marketing de Align Technology para la región de EMEA, “la evolución de las expectativas de los pacientes y los avances tecnológicos han llevado a la odontología a una nueva era. Align se asocia con los odontólogos generales para ayudarles a prosperar.

Con la cartera ampliada de Invisalign Go y su última incorporación, el tratamiento Invisalign Go Express, ofrecemos ahora una cartera completa de sistemas avanzados de aligners transparentes que permiten a los odontólogos realizar una mayor variedad de tratamientos integrales mínimamente invasivos, con el apoyo constante de una clara hoja de ruta de formación y educación profesional”. El sistema de aligners transparentes Invisalign Go Express está disponible en España desde el pasado mes de octubre.

Ficha técnica de Invisalign Go Express

• Tipo de maloclusión: Leve

• Ámbito clínico: Clase I

Apiñamiento/espacio leve

Sin corrección de la clase molar  Sin extracción

• Perfil del paciente: Adulto

• Número de alineadores: 7

• Dientes en el ámbito: Primer premolar a Primer premolar (4-4)

1. En comparación con los alineadores Invisalign fabricados anteriormente con material monocapa (EX30).

Align Technology www.aligntech.com

Universal Screwdriver Set de Zirkonzahn con destornilladores y herramientas para su uso tanto en la boca del paciente como en el

Universal Screwdriver Set de Zirkonzahn es un nuevo set de destornilladores y herramientas adecuado para su uso tanto en la boca del paciente como en el modelo; se ha adaptado de forma óptima al flujo de trabajo de las clínicas y laboratorios dentales y, según el caso, se dispone de varias herramientas que pueden combinarse perfectamente entre sí. El set está compuesto por la llave dinamométrica Torque Ratchet Wrench, el destornillador Zirkonzahn MUA para la fijación y la extracción de los Multi Unit Abutments NON HEX (pilares multiusos) de Zirkonzahn, el Adapter Ratchet Wrench y el

modelo

Screwdriver Handpiece. El Adapter Ratchet Wrench garantiza un ajuste estable y seguro entre las distintas herramientas. Todos los instrumentos pueden guardarse de forma segura y ordenada en el Instrument Case Universal Screwdriver Set, que también puede personalizarse con un máximo de 25 destornilladores o extractores con conexión en ángulo recto de Zirkonzahn. La biblioteca de sistemas de implantes para los destornilladores y extractores se amplía continuamente y pueden utilizarse en combinación con el Adapter Ratchet Wrench y el Screwdriver Handpiece. También está disponible el set Screwdriver Lab, que consiste en destornilladores para modelos codificados en colores según el sistema de implante y el correspondiente soporte Screwdriver Holder Magprism para un almacenamiento seguro y ordenado.

Zirkonzahn www.zirkonzahn.com

85 eldentistamoderno noviembre/diciembre 2022

su

de

atractivo

fue tan divertido”

Floucaril, posicionada como marca más recomendada por dentistas para el cuidado de las caries, se toma muy enserio la higiene y cuidado oral de los más pequeños de la casa*. Sin embargo, no siempre es fácil, ya que a cortas edades los niños encuentran dificultad en seguir los pasos para un buen cepillado, haciéndose el proceso pesado y aburrido, incluso para los padres. Por este motivo, Fluocaril lanza cada año la campaña de vuelta al cole, la cual viene cargada de sorpresas y materiales educativos, destinados a hacer más atractivo el momento de lavarse los dientes. Este año la campaña viene más cargada que nunca y, además, la mayoría de acciones son gratuitas:

• Videos educativos. Se trata de un viaje de 21 capítulos en los que Cepillito y la Señora Cepillo viajan por el mundo aprendiendo a lavarse los dientes junto a multitud de personajes, de una forma muy divertida.

• Promoción y regalos en farmacias. Por la compra de dos productos de Fluocaril KIDS y/o Fluocaril Junior se puede conseguir la revista de Fluocaril, la cual este año viene cargada de personajes para colorear, juegos y un adhesivo con instrucciones para un buen cepillado, para colocar en el espejo del baño.

Con todas estas acciones, Fluocaril no pretende más que ayudar a padres y profesionales de la salud dental a enseñar a los más pequeños la técnica de un buen cepillado, haciendo que el proceso sea ameno y divertido.

*Fluocaril KIDS: 3-6 años 1000ppm Fluor; Fluocaril Junior: 6-12 años 1450ppm Fluor. Fluocaril www.fluocaril.es

novedades MATERIALES, INSTRUMENTAL Y EQUIPO 86 el
dentistamoderno noviembre/diciembre 2022
Fluocaril lanza
campaña
vuelta al cole para hacer más
a los niños el momento de lavarse los dientes “Cepillarse los dientes nunca
• Web Familias de otra pasta y material educativo. En la misma web se pueden descargar diferentes materiales para colorear, jugar o aprender las partes de la boca.
87 eldentistamoderno noviembre/diciembre 2022 @dentistas.coem @dentistasCOEM > Manejo de la sonrisa gingival > Rehabilitación/aumento dimensión vertical > Terapia pulpar vital > Orto–perio > Traumatología > Agenesia de laterales PROGRAMA CASOS CLÍNICOS Un Congreso para todos > Odontólogos > Estudiantes > Higienistas > Auxiliares > Protésicos > Comerciales PROGRAMA 3600 CERTIFICADO coem INSCRÍBETE YA EN: congresocoem.com NOVEDAD ESTUDIO DE CASOS MULTIDISCIPLINARES Kinépolis (Madrid) 10 y 11 de febrero de 2023 DR. STÉFEN KOUBI Estética DR. JORGE LUIS CASTILLO Odontopediatría DR. AVIJIT BANERJEE Conservadora DR. FILIPPO SANTARCANGELO Endodoncia DR. RONALD JUNG Implantoprótesis DR. CESARE LUZI Ortodoncia (RESERVA ESTAS FECHAS)

El nuevo cepillo iO10 de Oral-B cuenta con un dispositivo con

Inteligencia Artificial integrada

A medida que la inteligencia artificial se abre paso en casi todas las facetas de la vida, es lógico que nuestra rutina de salud bucal evolucione y pase a ser inteligente. Oral-B anuncia su última innovación: iO10 con iOSense, que revolucionará la forma en que nos cepillamos los dientes a través de una experiencia personalizada.

El nuevo cepillo iO10, última incorporación a la revolucionaria gama iO, viene acompañado de un dispositivo inteligente llamado iOSense, que guía el cepillado en tiempo real con la ayuda de IA y ofrece una experiencia de cepillado personalizada que garantiza encías y dientes más saludables. “La innovación es más que un simple cepillo de dientes eléctrico: es una fusión de tecnología innovadora, diseño sofisticado y un increíble rendimiento. iOTM10 con iOSense es nuestro último compromiso para construir un ecosistema de salud digital liderado por tecnologías avanzadas, soluciones accesibles y las herramientas educativas más efectivas para mejorar el cuidado bucal y la salud de todos”, afirma Valeria Conti, directora de la Categoría de Cuidado Bucal en España y Portugal.

Inteligencia Artificial

El nuevo dispositivo iOSense funciona con inteligencia artificial que dirige el cepillado de manera intuitiva para ofrecer una experiencia totalmente personalizada. Le guía en:

• Dónde cepillarse: las intuitivas luces de iOSense hacen que nunca quede un espacio sin cepillar.

• Cuándo cepillarse: iOSense tiene integrado un temporizador y un reloj Wi-Fi para un cepillado óptimo.

• Cómo cepillarse: la aplicación Oral-B realiza un seguimiento de los objetivos y proporciona información personalizada después de cada cepillado. iOSense también es un cargador magnético que carga el cepillo en unas 3 horas. Para los usuarios que están siempre fuera de casa, viene con estuche de viaje con carga Power2Go, que permite cargarlo cuando y donde se desee.

Rendimiento inteligente

La revolucionaria tecnología de microvibraciones de Oral-B® iO elimina hasta un 100% más de placa bacteriana que un cepillo manual, aportando una sensación de limpieza profesional en casa, mejorando la salud bucodental y contribuyendo a la mejor salud general del cuerpo. Usar iO10 es una experiencia sensorial que transformará el acto de cepillado de algo que hay que hacer, en algo que te apetecerá hacer. En las pruebas clínicas, Oral-B iO ofreció una limpieza más profunda de los dientes y las encías, lo que permitió a los usuarios mantener una salud bucal con facilidad y eficacia. En comparación con los cepillos manuales, los usuarios de Oral-B iO experimentaron: seis veces más eliminación de placa a lo largo de la línea de las encías, encías 100% más sanas en una semana y dientes más blancos en una semana.

Oral-B www.oralb.es

Inspiria lanza su Kit Digital para ayudarte a digitalizar tu clínica

Inspiria lanza su Kit Digital, un programa de subvenciones con el objetivo de digitalizar tu clínica dental. Desde Inspiria te ayudan a solicitar tu bono y te acompañan durante todo el proceso para ayudarte a digitalizar tu clínica y aumentar tu rentabilidad.

En concreto, este programa está 100% subvencionado hasta 12.000 euros, en función del número de empleados de la empresa:

• Segmento I (empresas entre 10 y 49 empleados): Importe máximo concedido de 12.000 euros.

• Segmento II (empresas entre 3 y 9 empleados): Importe máximo concedido de 6.000 euros.

• Segmento III (empresas entre 0 y 2 empleados): Importe máximo concedido de 2.000 euros.

El programa Kit Digital está cofinanciado por los Fondos Next Generation (EU) del Mecanismo de Recuperación y Resilencia.

Más información sobre el Kit Digital en www.inspiriadental.com/kit-digital

Inspiria www.inspiriadental.com

novedades MATERIALES, INSTRUMENTAL Y EQUIPO 88 el
dentistamoderno noviembre/diciembre 2022
Consigue tu invitación con el código Q5BWU www.dentalshowbcn.com BARCELONA DENTAL SHOW ES UN EVENTO ORGANIZADO POR: Barcelona CCIB +6.000 PROFESIONALES Y CONGRESISTAS 150 MARCAS EXPOSITORAS +180 SPEAKERS +90 HORAS DE INSPIRACIÓN TECH SERIES SUMMITS MÉDICOS CONGRESO NACIONAL DE ODONTOLOGÍA AVANZADA 2023 HIGIENE BUCAL INTELIGENCIA ARTIFICIAL IMPLANTOLOGÍA CAD/CAM CIRUGÍA ORTODONCIA 3D DENTAL Leading the digital dental technology PRÓTESIS

Ofertas Especiales

MODELO M25

REF. C1027

• Sin Luz

• Velocidad Directa 1:1 • Spray Simple

• Velocidad Máxima: 40.000 min-1 • Para fresas CA (ø2,35) • 2 AÑOS de Garantía

MODELO M25L

REF. C1024

• Con Luz

• Velocidad Directa 1:1

• Spray Simple

• Velocidad Máxima: 40.000 min-1

• Para fresas CA (ø2,35)

• 2 AÑOS de Garantía 799€* 1.716€*

2 Multiplicadores del mismo modelo

MODELO M95 REF. C1026

• Sin Luz

• Multiplicador 1:5

• Spray Quattro

• Velocidad Máxima: 200.000 min-1

• Para fresas FG (ø1,6) • 2 AÑOS de Garantía 799€* 1.722€*

MODELO M95L REF. C1023

• Con Luz

• Multiplicador 1:5

• Spray Quattro

• Velocidad Máxima: 200.000 min-1

• Para fresas FG (ø1,6)

2 AÑOS de Garantía

* Los precios no incluyen iva. Ofertas limitadas hasta el 31 de Diciembre de 2022 o hasta fin de existencias.

• Clean Head System (Anti-Retorno)

• Torque: 26W

• Tamaño del Cabezal: ø12,1 x Al 13,3 mm

• Velocidad: 325.000~430.000 min-1

• Cuerpo de Acero Inoxidable

• Spray de Agua Quattro

• Porta-fresas Push Botton

• Rodamientos de cerámica

• Fácil cambio del cartucho por el propio usuario

• 2 AÑOS de Garantía

HASTA EL 31 DE DICIEMBRE DE 2022 S-Max M CONTRA-ÁNGULOS DE ACERO INOXIDABLE Conexión NSK MODELO M900L REF. P1254 Conexión KaVo® MULTIflex® MODELO M900KL REF. P1258 KaVo® y MULTIflex LUX® son marcas registradas de Kaltenbach & Voight GmbH & Co, Alemania POTENCIA 26W
599€*
799€* 1.762€*
€*
1.294€*
799
1.976€*
999€* 2.280€* 2 Contra-Ángulos del mismo modelo 2 Turbinas del mismo modelo
S-Max M TURBINAS DE ACERO INOXIDABLE CON LUZ
Dental
S.A.
Módena, 43 · El Soho-Európolis ·
de
-
NSK
Spain
www.nsk-spain.es
28232 Las Rozas
Madrid
tel: +34 91 626 61 28 · fax: +34 91 626 61 32 · e-mail: info@nsk-spain.es

Turn static files into dynamic content formats.

Create a flipbook
Issuu converts static files into: digital portfolios, online yearbooks, online catalogs, digital photo albums and more. Sign up and create your flipbook.