El Dentista Moderno - nº 70

Page 1

ENTREVISTA

• Dr. Óscar Castro Reino, presidente del Consejo General de Dentistas de España

JÓVENES TALENTOS

• Dra. Belén Morón Conejo IMPLANTOLOGÍA

ENTREVISTA

• Jesús Bonilla, director general de Sanitas Dental

ENTREVISTA

Isabel García, Manager General y asesora técnica de Bredent Group Spain

ODONTOLOGÍA DIGITAL
www.eldentistamoderno.com Siguiendo la evolución de la Odontología para el profesional del sector llamado a construir el futuro Año IX • N úmero 70 • Octubre 2022 @dentistamoderno @eldentistamoderno @eldentistamoderno @eldentistamoderno D4.0
A LA INDUSTRIA DENTAL:
ORAL MEDICINE INSIDE by PENSANDO EN EL FUTURO GESTIÓN DE CLÍNICA SEPES-DM
ENVÍANOS TUS IMPRESIONES DIGITALES: LÍDERES EN LA ELABORACIÓN DE PRÓTESIS DENTALES Corona de zirconio 59,90 € 49,90 €Antes Ahora  +34 910 059 139  info@expadent.com www.expadent.com *Las fotografías de este anuncio corresponden a trabajos realizados en nuestro laboratorio YA DISPONIBLE EXPADENT APP Hemos mejorado nuestro sistema de gestión, y ahora cualquiera de nuestros clientes podrán realizar los pedidos direc tamente desde nuestra aplicación, intuiti vamente. También permi te hacer un se guimiento total del proceso de fabricación y de envío del pedido realizado. AHORA QUE TODO SUBE, NOSOTROS BAJAMOS PRECIOS

IMPLANTES CORTOS BTI DESDE 8,5 A 4,5 MM.

REPLANTÉATE LOS TRATAMIENTOS DE LAS ATROFIAS ÓSEAS CON IMPLANTES CORTOS

• Tendrás soluciones mucho más sencillas para los casos más complejos.

• Verás los casos de reabsorciones extremas a tu alcance.

• Dispondrás de técnicas que aplican los profesionales que siempre buscan el éxito.

www.bti-biotechnologyinstitute.com

1 eldentistamoderno octubre 2022 BTI Biotechnology Institute Tel: (+34) 945 140 024 | info@bticomercial.com | bti-biotechnologyinstitute.es

DM eldentistamoderno

Año IX - Número 70 - Octubre 2022

En portada: Figura de la página 17, correspondiente al artículo titulado “Inteligencia Artificial en Odontología, una realidad en constante evolución”

6

EDITORIAL

Presente y futuro de los congresos científicos odontológicos presenciales

Por Dr. Rafael Martínez de Fuentes, Profesor responsable de Prótesis Estomatológica III de la Universidad de Sevilla, Vicepresidente de SEPES y miembro del Comité Científico de DM Dentista Moderno.

8

ENTREVISTA

“Las especialidades odontológicas son una necesidad real de la sociedad y, por lo tanto, solicitamos al Ministerio de Sanidad que nos faciliten el poder acceder a ellas”

Dr. Óscar Castro Reino, presidente del Consejo General de Dentistas de España

14

ODONTOLOGÍA DIGITAL

SEPES-DM

Inteligencia Artificial en Odontología, una realidad en constante evolución

Autores: Dra. Mónica Bonfanti Gris, Dra. María Paz Salido Rodríguez-Manzaneque, Dr. Ángel Herrera Martín y Dr. Guillermo Pradíes Ramiro.

Siguiendo la evolución de la odontología

DIRECTORA

Emiliana Rodríguez Charmes emi.rodriguez@eldentistamoderno.com

SUBDIRECTORA

Beatriz Suárez de la Vega beatriz.suarez@eldentistamoderno.com

REDACCIÓN Y FOTOGRAFÍA

Departamentos propios Versys Ediciones Técnicas

DIRECTOR CIENTÍFICO

Imanol Donnay

COMITÉ CIENTÍFICO

Javier de la Cruz, José Nart, Jesús Daniel Parejo, Juan López Palafox, Miguel Burgueño, Juan Manuel Vadillo, Guillermo Galván, Rafael Martínez de Fuentes, Anna Ramiro, Carlos Repullo, Leticia Rodríguez, Marta Revilla, José María Malfaz, Eva Mª Martínez y Eva López de Castro

DISEÑO Y MAQUETACIÓN

Manuel Beviá

DIRECTORA COMERCIAL ÁREA DE DISTRIBUCIÓN Mercedes Álvarez mercedes.alvarez@versysediciones.com

DIRECTORA DE CUENTAS DM

Emiliana Rodríguez Charmes emi.rodriguez@eldentistamoderno.com

EJECUTIVA DE CUENTAS DM

Beatriz Montero Fernández de Bobadilla beatriz.montero@eldentistamoderno.com

18

JÓVENES TALENTOS

“La formación posgraduada y especializada es fundamental”

Dra. Belén Morón Conejo

24

IMPLANTOLOGÍA - NOBEL BIOCARE

Rehabilitación estética y funcional de una boca completa con el concepto de tratamiento All-on-4®

Autor: Prof. Enrico Agliardi

30

OPINIÓN

Cuaderno de bitácora de un higienista dental a nivel internacional

Por Eva López de Castro, presidenta y delegada internacional de HIDES y presidenta de HIDES Castilla y León

60

74

ACTUALIDAD DEL SECTOR DENTAL

NOVEDADES

Equipamiento, instrumental y material protésico, dental y clínico

sumario SUMARIO
EL DENTISTA MODERNO NÚM. 70 OCTUBRE 2022 OCT ‘22 IMPLANTOLOGÍA Los precios no incluyen iva. Ofertas limitadas hasta el 31 de Diciembre de 2022 hasta fin de existencias. ENTREVISTA Dr. Óscar Castro Reino, presidente del Consejo General de Dentistas de España ODONTOLOGÍA DIGITAL JÓVENES TALENTOS Dra. Belén Morón Conejo IMPLANTOLOGÍA www.eldentistamoderno.com Siguiendo la evolución de la Odontología para el profesional del sector llamado a construir el futuro Año IX • N úmero 70 • Octubre 2022 @dentistamoderno @eldentistamoderno D4.0 ENTREVISTA Jesús Bonilla, director general de Sanitas Dental ENTREVISTA A LA INDUSTRIA DENTAL: Isabel García, Manager General y asesora técnica de Bredent Group Spain ORAL MEDICINE INSIDE by PENSANDO EN EL FUTURO GESTIÓN DE CLÍNICA SEPES-DM

EL

DE TRABAJO DIGITAL DE ZIRKONZAHN

eldentistamoderno octubre 2022Zirkonzahn Ibérica – T +34 937 290 390 – iberica@zirkonzahn.com – www.zirkonzahn.com Zirkonzahn Worldwide – T +39 0474 066 680 – info@zirkonzahn.com – www.zirkonzahn.com MÁS INFORMACIÓN SISTEMA P4000 PARA LA IMPRESIÓN 3D PAQUETE COMPLETO PARA AMPLIAR
FLUJO
Con el nuevo sistema P4000 para la impresión 3D, Zirkonzahn ofrece a los dentistas y protésicos dentales un paquete preconfigurado, concebido específi camente para el flujo de trabajo dental y para utilizarlo en la producción de modelos dentales de resina. El sistema, que incluye la Impresora P4000, el software Zirkonzahn.Slicer y la Lámpara de polimerización L300, está indicado para su uso con la resina Printer Resin Waterbased Beige de Zirkonzahn. ESCANEAR ¡NUEVO! Escáner intraoral Detecion Eye MODELACIÓN & POSICIONAMIENTO ¡NUEVO! Software Zirkonzahn.Modifier y Zirkonzahn.Slicer IMPRESIÓN ¡NUEVO! Impresora P4000 y Printer Resin Waterbased Beige POLIMERIZACIÓN ¡NUEVO! Lámpara de polimerización L300 ARTICULACIÓN SIN YESO ¡NUEVO! JawAligner PS1 y ZS1

Impresión: Gama Color Depósito Legal: M-33444-2013 ISSN: 2340-9703

ISSN (internet): 2340-9797

34

Versys Ediciones Técnicas S.L. Invierno, 17 28850 Torrejón de Ardoz (+34) 912 972 000 administracion@versysediciones.com

CEO

DIRECTORA DE OPERACIONES Esther Crespo

DIRECTOR DE EXPANSIÓN Y DESARROLLO

Copyrigth Versys Ediciones Técnicas S.L. La suscripción a esta publicación autoriza el uso exclusivo y personal de la misma por parte del suscriptor. Cualquier otra reproducción, distribución, comunicación pública o transformación de esta publicación sólo puede ser realizada con la autorización de sus titulares. En parti cular, la Editorial, a los efectos previstos en el art. 32.1 párrafo 2 del vigente TRLPI, se opone expresamente a que cualquier frag mento de esta obra sea utilizado para la realización de resúme nes de prensa, salvo que cuente con la autorización específica. Diríjase a CEDRO (Centro Español de Derechos Reprográficos) si necesita fotocopiar, escanear, distribuir o poner a disposición de otros usuarios algún fragmento de esta obra, o si quiere utili zarla para elaborar resúmenes de prensa (www.conlicencia.com; 917021970/932720447)

Las opiniones y conceptos vertidos en los artículos firmados lo son exclusivamente de sus autores, sin que la revista los comparta necesariamente.

38

DENTISTA 4.0

ENTREVISTA

“Es fundamental que la innovación venga de la mano de la mejora de la experiencia de paciente”

Jesús Bonilla, director general de Sanitas Dental

ENTREVISTA A LA INDUSTRIA DENTAL

“Ofrecemos soluciones y terapias que ayudan al clínico a estar al máximo nivel”

Isabel García Thierfeldt, Manager General y asesora técnica de Bredent Group Spain

42

ORAL MEDICINE INSIDE

“Con el III Congreso Knotgroup buscamos devolver nuestra profesión al lugar del que nunca debió salir”

Por Dr. Pedro Guitián, Director Médico del Centro Médico Odontológico Guitián, miembro de Knotgroup y Presidente del III Congreso Knotgroup “Los Orígenes”

48

PENSANDO EN EL FUTURO

Cómo la Inteligencia Artificial está cambiando el panorama dental

Por Bruce Lieberthal, Vice President y Chief Innovation Officer de Henry Schein

54

GESTIÓN LEGAL - DELYSER ABOGADOS

La historia clínica

Por Almudena Rodríguez Ruiz, Directora del Departamento de Responsabilidad Civil Sanitaria de Delyser Abogados

Fotografía el código QR con el lector de tu smartphone para acceder a El Dentista Moderno

En portada D4.0: Imagen de la página 48 correspondiente al artículo de Pensando en el Futuro titulado “Cómo la Inteligencia Artificial está cambiando el panorama dental”.

sumario SUMARIO
Siguiendo la evolución de la Odontología para el profesional del sector llamado a construir el futuro ENTREVISTAS Jesús Bonilla, director general de Sanitas Dental Isabel García, Manager General asesora técnica de Bredent Group Spain ORAL MEDICINE INSIDE by “Con el III Congreso Knotgroup buscamos devolver nuestra profesión al lugar del que nunca debió salir” Por Dr. Pedro Guitián, Director Médico del Centro Médico Odontológico Guitián, miembro de Knotgroup Presidente del III Congreso Knotgroup “Los Orígenes” PENSANDO EN EL FUTURO Cómo la Inteligencia Artificial está cambiando el panorama dental President y Chief Innovation Officer de Henry Schein, Inc. GESTIÓN, COMUNICACIÓN Y MARKETING La historia clínica

Y REALIZACIÓN DE

ESTÉTICAS Y FUNCIONALES:

LAS TÉCNICAS TRADICIONALES HASTA LOS PROTOCOLOS DIGITALES EN TRATAMIENTOS DE PRÓTESIS FIJAS Y REMOVIBLES

El curso ha sido preparado para ofrecer una perspectiva didáctica integral en el diseño de prótesis dentales. Para lograr este objetivo, los 4 ponentes tratarán diversos temas, teóricos y prácticos, relacionados con la prótesis fija y removible. Un paso fundamental es transmitir las técnicas de trabajo tanto de forma manual como con modernos softwares digitales. El correcto equilibrio entre función y estética será un tema central en la impartición del curso que pretende ofrecer herramientas prácticas eficaces para afrontar cualquier tipo de proyecto protésico.

Coordinación docente Profesorado Dr. Gabriele Vaccaro Gianluca Lombardo Luigi Ciccarelli Luca Cattin Emanuele Giunchi
5 eldentistamoderno octubre 2022 ¡El programa de formación Rhein83 en Madrid! ¡Descubre los próximos cursos sobre prótesis fijas y removibles para dentistas y protésicos dentales! Información para participar: Nick Scaglia +39 340 478 8460 - nick@rhein83.it rhein83.com/es/cursos 28 Y 29 DE OCTUBRE DE 2022 ¿A quién va dirigido? Técnicos Dentales Especializados Y Técnicos de Laboratorio Requisitos: Licenciatura en Tecnología Dental Modalidad: Presencial Sedes teoría y practicas: PgO UCAM Trafalgar Calle de Trafalgar, 31 - 28010 Madrid
Diploma Universitario: 3 ECTS DISEÑO
PRÓTESIS
DESDE

Dr. Rafael Martínez de Fuentes

Profesor responsable de Prótesis Estomatológica III de la Universidad de Sevilla. Vicepresidente de la Socie dad Española de Prótesis Estomatológica y Estética.

Vocal del Council de la European Prosthodontic Association.

Especialista en Prótesis nº88 por la European Pros thodontic Association.

Miembro del Comité Científico de DM Dentista Moderno.

PRESENTE Y FUTURO DE LOS CONGRESOS CIENTÍFICOS ODONTOLÓGICOS PRESENCIALES

Un congreso científico odontológico, en mi opinión, es un evento dirigido a dentistas en el que se encuentran involucrados diversos profesionales del sector dental. Debería estar tutelado por una Sociedad científica adscrita al Consejo General, que sería la encargada de dar contenidos al evento. Me gustaría agradecer en primer lugar a DM Dentista Moderno la oportunidad que me ofrece para poder reflexionar en voz alta y esto lo hago de forma personal, al margen de mi actividad universitaria o en sociedades científicas.

Desde hace más de 30 años asisto de forma regular a reuniones científicas de varias Sociedades y he sido miembro activo de siete. Mi conocimiento sobre este tema cambió de asistente a organizador en mayo de 2010 cuando me inicié en Sevilla como vicepresidente de la XXI reunión de la SEDCYDO. A partir de ese momento, hasta 7 congresos nacionales y uno in ternacional con cargos relevantes organizativos siendo el último y más complicado, SEPES Madrid 2021, el primer congreso celebrado de forma presencial tras la terrible pandemia.

El coronavirus lo ha cambiado todo. La aparición de la formación online y en especial la retransmisión en directo o diferido de congresos, la proliferación de webinars organizados por todo tipo de instituciones o particulares, unido a la sensación de querer disfrutar la vida que se ha ido apoderando de todos nosotros, ha restado interés a la presencialidad en los eventos científicos. Las prioridades vitales de los asistentes han cambiado. En SEPES Sevilla participaron 3.200 asistentes y tuvimos problemas porque no cabían en algunas de las salas. Hoy día podemos ir a congresos que teóricamente tienen un mayor nú mero de inscritos y, sin embargo, al entrar en la sala principal no hay más que unas 150 personas. Hay una guerra de números.

No ayuda que la industria celebre congresos científicos que en ocasiones no tienen la asistencia deseada, porque su papel dentro de los eventos creo, personalmente, que tiene otras características . No sé si sigue vigente o ha cambiado el código ético que se presentó en 2017 y que tuve la oportunidad de conocer de primera mano desplazándome a Madrid, a la sede de FENIN, porque tenía que organizar en enero de 2018 SOCE Sevilla, el primer congreso en el que se aplicó.

Tampoco ayuda que haya 28 Sociedades científicas adscritas al Consejo General y que éste no las inspeccione fehaciente y regularmente para advertir que algunas no han tenido o pueden no tener prácticamente socios, ni eventos científicos anuales o la participación a éstos es minoritaria y que sus objetivos y competencias se solapan con los de otras Socie dades. Sería más razonable que se produjera una anexión entre las mismas o aglutinamiento con el fin de crear grandes Sociedades que aunaran y agruparan a todas las Sociedades por temas de interés para los congresistas.

No ayudan los congresos de Facebook en los que se cita a los posibles participantes con posts en los que se muestran algu nos casos que no soportan la más mínima revisión científica externa. Las garantías que dan las publicaciones científicas serias.

Los congresos científicos odontológicos presenciales están desapareciendo poco a poco. Debería ser posible que todos los implica dos se unieran para establecer ciertas líneas rojas de organización que puedan reactivarlos o daremos el paso definitivo hacia los congresos científicos odontológicos virtuales. Perderemos la capacidad de relacionarnos y compartir en directo y personalmente.

Miguel Burgueño Javier de la Cruz Guillermo Galván Eva López de Castro Juan Manuel Vadillo Marta RevillaCarlos Repullo José María Malfaz Eva Mª Martínez Anna Ramiro Juan López Palafox Jesús Daniel Parejo Director Científico de DM Dentista Moderno. Dr. Imanol Donnay Leticia Rodríguez José Nart
6 eldentistamoderno octubre 2022
EDITORIAL

La era de la lupa motorizada ha llegado.

Presentamos Dragonfly: una nueva especie de lupas que integra a la perfección una lámpara frontal incorporada.

Cuanto mejor sea su equipo, mejor será su trabajo. Pero hay algo que decir sobre cómo le hace sentir el equipo. Elegante. Ágil. Todo bajo control.

Nunca ha tenido una lupa como esta porque nunca ha habido una lupa como esta. Los cables y las baterías son cosa del pasado. No permita que su lupa y luz actuales le frenen. Libérese para rendir al máximo.

Programe su demostración práctica gratuita hoy mismo. Orascoptic.com/dragonfly
ORA-MKG-0966

“LAS ESPECIALIDADES ODONTOLÓGICAS SON UNA

NECESIDAD REAL DE LA SOCIEDAD Y, POR LO TANTO, SOLICITAMOS AL MINISTERIO DE SANIDAD QUE NOS FACILITEN

EL PODER ACCEDER A ELLAS”

Dr. Óscar Castro Reino, presidente del Consejo General de Dentistas de España

El Dr. Óscar Castro Reino, presidente del Consejo General de Dentistas de España, se enfrenta a su tercer mandato al frente de la Organización Colegial “con muchas ganas” y con un objetivo claro: “Trabajar por y para la profesión”. Así nos lo explica en esta entrevista, en la que el Dr. Castro Reino señala los logros y objetivos pendientes por cumplir en los próximos cuatro años.

DM.- Tras ocho años al frente del Consejo Ge neral de Dentistas de España, ¿con qué objetivo se enfrenta a su tercer mandato como presidente?

Dr. Óscar Castro Reino (Dr. O.C.R.).- Mi objetivo es trabajar por y para la profesión. Por ello, me en frento a este tercer mandato con muchas ganas y teniendo los objetivos claros. Entre ellos están la modificación y correcta aplicación de la Ley de Sociedades Profesionales, la aprobación de una ley de publicidad sanitaria, la puesta en marcha de las especialidades odontológicas y la lucha contra el intrusismo profesional, entre otros.

 DM.- ¿Cuáles son las problemáticas de la pro fesión que más les preocupan desde el Consejo General de Dentistas de España?

Dr. O.C.R.- Nos preocupa, entre otros temas, la plétora profesional. En el informe técnico sobre la demogra fía de los dentistas en España, elaborado por la Or ganización Colegial, se estima que en 2030 el número de dentistas colegiados llegará hasta los 47.167, lo que supone un incremento de cerca del 17%. España es uno de los países de la Unión Europea que más titulados en Odontología egresa cada año.

entrevista ENTREVISTA 8 eldentistamoderno octubre 2022

De hecho, superamos con creces la recomendación de la OMS de un dentista por cada 3.500 ciudada nos, lo que deriva en un incremento de dentistas que, evidentemente, el mercado laboral no puede asumir, quedándose en situación de desempleo o teniendo que emigrar a otros países. Igualmente, la aprobación de ley estatal de publi cidad sanitaria para evitar que se lancen mensajes engañosos que puedan confundir a los ciudadanos y la correcta aplicación de la Ley de Sociedades Profesionales, son objetivos clave para nosotros.

 DM.- Como principal impulsor de las campa ñas de prevención y de educación sanitaria, ¿qué importancia tienen estas iniciativas a la hora de concienciar a la población?

Dr. O.C.R.- Según los datos del “Atlas de la Salud Bucodental en España. Una llamada a la acción. 2022”, presentado recientemente por el Consejo General de Dentistas, un tercio de los menores de 6 años presenta caries. Es decir, unos 850.000 niños acumulan cerca de 4 millones de dientes tempo rales con caries. En el caso de los adultos jóvenes (de 30 a 50 años), el 94% tiene caries. En cuanto a la población mayor (65-80 años), un tercio presenta enfermedad periodontal y, de ellos, cerca del 12% tiene periodontitis severa.

Por todo ello, las campañas educativas de salud bucodental son también fundamentales para el Consejo. Por ese motivo, llevamos a cabo anual mente diferentes campañas dirigidas a diferentes colectivos (adolescentes, embarazadas, personas mayores, prevención del cáncer oral…) con la finali dad de colaborar para mejorar la salud bucodental de los españoles. Estas campañas se diseñan des de una visión multidisciplinar, intentando siempre involucrar en las mismas a aquellos actores que puedan ayudar a su difusión y ejecución.

 DM.- ¿Cómo evalúan la Estrategia Mundial so bre Salud Bucodental de la Organización Mundial de la Salud (OMS)?

Dr. O.C.R.- Hasta la fecha no se había planteado ningún plan mundial sobre salud bucodental. El desarrollo de esta estrategia mundial, presentada por la OMS, supone un avance crucial para conse guir el acceso a una atención bucodental integral y eficaz en todo el mundo. No debemos olvidar que el acceso al dentista no debe ser un privilegio, sino un derecho básico y uni versal de todos.

 DM.- La formación continuada sigue sin ser obligatoria en España. ¿En qué líneas están traba jando desde el Consejo General de Dentistas para cambiar esta situación?

Dr. O.C.R.- Desde el Consejo General de Dentistas entendemos que la formación continuada es clave para el desarrollo profesional de excelencia, en pro

COMITÉ EJECUTIVO DEL CONSEJO GENERAL DE DENTISTAS DE ESPAÑA 2022-2026

• Presidente: Dr. Óscar Castro Reino.

• Vicepresidente: Dr. Francisco García Lorente.

• Secretaria: Dra. Agurtzane Meruelo Conde.

• Tesorero: Dr. Joaquín De Dios Varillas.

• Vicesecretario y vicetesorero: Dr. Joan Carrera Guiu.

• Vocal 1: Dra. Concepción Mercedes León Martínez.

• Vocal 2: D. Víctor Zurita Clariana.

• Vocal 3: Dª. María Núñez Otero.

• Vocal 4: D. Ignacio García-Moris García.

• Vocal supernumerario: Dr. Luis Rasal Ortigas.

• Vocal supernumerario: Dr. Miguel Ángel López-Andrade Jurado.

• Vocal supernumerario: Dr. Ángel Carrero Vázquez.

• Vocal supernumerario: Dr. Juan Manuel Acuña Pedrosa.

• Presidente del Comité Central de Ética: Dr. Bernardo Perea Pérez.

eldentistamoderno

Se estima que en 2030 el número de dentistas colegiados llegará hasta los 47.167, lo que supone un incremento de cerca del 17% que, evidentemente, el mercado laboral no puede asumir, quedándose en situación de desempleo o teniendo que emigrar a otros países ”
9
octubre 2022

de una asistencia de calidad. El determinar su obli gatoriedad no compete a este Consejo aunque la apoyamos claramente.

 DM.- Uno de los logros conseguidos en la pa sada legislatura fue la puesta en marcha de la receta privada electrónica junto con los Consejos Generales de Colegios de Farmacéuticos, Médi cos y Podólogos. ¿De qué manera contribuye este sistema a evitar el intrusismo profesional?

Dr. O.C.R.- La receta electrónica privada supone un importante avance contra el intrusismo profe sional, ya que garantiza que todos los profesio nales que actúan en torno a la receta de un me dicamento —tanto el que prescribe como el que dispensa— son profesionales colegiados y habili tados para el correspondiente ejercicio profesio nal. Asimismo, la implementación de este sistema impide su falsificación o duplicación, garantizan do la seguridad en el acceso y transmisión de la información al paciente. Un gran logro que ha sido

entrevista ENTREVISTA 10 eldentistamoderno octubre 2022
El desarrollo de la Estrategia Mundial sobre Salud Bucodental, presentada por la OMS, supone un avance crucial para conseguir el acceso a una atención bucodental integral y eficaz en todo el mundo ” “ Los tratamientos dentales deben estar siempre prescritos y ser realizados por un facultativo o bajo su supervisión. No podemos permitir que se juegue con la salud de la población ”

posible gracias al trabajo de los Consejos Genera les de Colegios de Dentistas, Farmacéuticos, Mé dicos y Podólogos.

 DM.- ¿Cuáles eran sus expectativas ante el re cientemente aprobado Real Decreto de Especiali dades en Ciencias de la Salud por parte del Con sejo de Ministros?

Dr. O.C.R.- La aprobación del Real Decreto de Espe cialidades en Ciencias de la Salud supone reanudar un proceso que lleva paralizado prácticamente 10 años por diferentes organismos y razones. Sin em bargo, el RD solo está dirigido a los médicos, de jando al margen al resto de profesiones sanitarias, como a nosotros los dentistas. Las características de la Odontología son especiales, puesto que todavía no tenemos ninguna especialidad aprobada y, por lo tanto, se nos está privando de un derecho del que gozan todos los dentistas de la Unión Europea. Las especialidades odontológicas son una necesi dad real de la sociedad y, por lo tanto, solicitamos al Ministerio de Sanidad que nos faciliten el poder acceder a ellas.

 DM.- La creación de especialidades odontológi cas es, por tanto, uno de los objetivos del Consejo General de Dentistas de España. ¿Qué medidas de acción reclaman en este sentido?

Dr. O.C.R.- Como he comentado en la pregunta anterior, la Ley de especialidades está hecha para médicos, porque ellos tienen especialidades de todo tipo. Los dentistas tenemos que empezar desde cero, creando una comisión de especiali dades, una transitoria para ver quién evalúa a los futuros especialistas... Está todo por hacer. Nos toca trabajar duro y para eso existe una Comisión de Especialidades formada por la Conferencia de Decanos, por las sociedades científicas y por el Consejo; somos los que tenemos que solicitar y argumentar la necesidad de que se aprueben las especialidades odontológicas, en todo esto es en lo que estamos trabajando. Asimismo, solicitamos al Ministerio de Sanidad que nos faciliten el poder acceder a ellas.

 DM.- Ante la falta de una normativa estatal que regule la publicidad sanitaria, ¿consideran urgen te la necesidad de regular este tipo de publicidad con una ley estatal?

Dr. O.C.R.- Por supuesto. La tramitación de una ley estatal que regule la publicidad sanitaria evitaría

que se repitieran escándalos como el de iDental, que atrajo a los ciudadanos gracias a sus agresivas campañas de publicidad y donde el interés econó mico primaba sobre la protección de la salud. Las comunicaciones comerciales relacionadas con la salud deben ser exactas y verídicas, basadas en el conocimiento científico, por el bien de la seguridad del paciente.

Igualmente, es necesario que se establezcan me canismos que aseguren la protección de los pa cientes afectados cuando las empresas cesan su actividad por cualquier razón.

 DM.- Ante el auge de la venta en internet de tratamientos dentales (productos blanqueantes, tratamientos de ortodoncia con alineadores…) y medicamentos sin la supervisión de un profe sional, ¿qué medidas proponen desde el Consejo para luchar contra esta práctica que pone en riesgo la salud del paciente?

Dr. O.C.R.- Desde el Consejo General de Dentistas venimos denunciando y advirtiendo, desde hace tiempo, de los peligros que para la salud general y para la salud bucodental en particular, pueden tener determinados contenidos de algunas redes sociales, así como la venta de tratamientos denta les do it yourself.

11

eldentistamoderno octubre 2022

La receta electrónica privada supone un importante avance contra el intrusismo profesional, ya que garantiza que todos los profesionales que actúan en torno a la receta de un medicamento son profesionales colegiados y habilitados para el correspondiente ejercicio profesional ”
La tramitación de una ley estatal que regule la publicidad sanitaria evitaría que se repitieran escándalos como el de iDental ”

Desde la Organización Colegial nos mantenemos alerta para seguir denunciando ante la Agencia Es pañola de Medicamentos y Productos Sanitarios (AEMPS) a las empresas que venden alineadores dentales online sin prescripción ni control médico y no dejaremos de insistir en que los tratamientos den tales deben estar siempre prescritos y ser realizados por un facultativo o bajo su supervisión. No podemos permitir que se juegue con la salud de la población.

 DM.- Háblenos sobre la peligrosa tendencia del TurkeyTeeth. ¿Qué riesgos supone esta práctica para la salud de la población?

Dr. O.C.R.- La tendencia TurkeyTeeth supone un grave riesgo para la salud de la población, especialmente para los jóvenes, que son quienes más siguen las redes sociales. Los tratamientos dentales deben ser realizados por un dentista cualificado y en una clí nica que cumpla con todos los requisitos sanitarios y legales. Un tratamiento mal hecho puede causar daños en el nervio dental, dolor, infección, abscesos, pulpitis e incluso la pérdida del diente. En los últimos años se está considerando la salud bucodental como un bien de consumo más, hacien do creer a la población que es una cuestión mera mente estética, cuando realmente no es así. Tener una boca sana es básico para disfrutar de una buena salud general y de una calidad de vida óptima. Desde la Organización Colegial hemos hecho un llamamiento a todos los dentistas que trabajan en España para que notifiquen a los Colegios Oficia les de Dentistas todos los casos de pacientes que hayan recibido un tratamiento fallido en Turquía y que, a su vez, los Colegios trasladen esa informa ción al Consejo para así poder tomar las medidas legales oportunas.

La tendencia TurkeyTeeth supone un grave riesgo para la salud de la población, especialmente para los jóvenes, que son quienes más siguen las redes sociales
entrevista ENTREVISTA 12 eldentistamoderno octubre 2022

Cirugía en un día

Máximo impacto para la clínica

- Cirugía de implantes todos los casos, incluyendo pterigoideos y pacientes totalmente edéntulos

- Tratamiento del canal de raiz con abordaje mínimo

- Cirugía ósea con piezoeléctrico sin riesgo para estructuras

Mínimo espacio en la consulta: plegado ocupa 40x50cm

Compatible con cualquier tipo de implante, sistema de fresado, y todos los CBCT actuales en el mercado

Cirugía mínimamente invasiva sin guía quirúrgica física.

Flujo de trabajo simplificado, fácil de usar, reduce tiempo y gastos.

Set completo de instrumentos re-esterilizables.

Cirugía Guiada por Navegación Dinámica

Llámanos para una demostración

eldentista octubre 2022

revisión de la literatura

INTELIGENCIA ARTIFICIAL EN ODONTOLOGÍA, UNA REALIDAD EN CONSTANTE EVOLUCIÓN

La llegada de la digitalización al sector odontológico ha supuesto un irrefutable cambio de paradigma para los profesionales dedicados a esta especialidad sanitaria. Sin embargo, puede que nuestro concepto de “nuevas tecnologías” tome pronto una nueva forma de ser visto y entendido. La introducción cada día más exhaustiva de recursos de Inteligencia Artificial (IA) en Medicina ha precipitado también un rápido avance de ésta en la Odontología.

¿Qué es la Inteligencia Artificial (IA)?

El término de Inteligencia Artificial (IA) fue acuña do por el informático John McCarthy en 1956, pero fue Frank Rosenblat, en 1957, quien diseñó la pri mera red neuronal o “cerebro inteligente”.

La IA puede ser definida como la capacidad de ciertas máquinas para imitar el conocimiento y comportamiento humanos a partir de la im plementación de una secuencia de algoritmos (neuronas artificiales) . Se trata de una forma

automatizada de realizar actividades relaciona das con las habilidades humanas, incluyendo la capacidad de aprendizaje, toma de decisiones y la resolución de problemas. En el mundo biosa nitario, este concepto tiene por objetivo intentar facilitar y mejorar la capacidad diagnóstica y te rapéutica de los profesionales a través de la ali mentación del “cerebro artificial” por medio de infinitas fuentes de datos “data”

u Contacto sepes@sepes.org cedido por SEPES John McCarthy, considerado padre de la Inteligencia Artificial. Ganó el Premio Turing en 1971, Nobel de la Informática. Fue nom brado profesor emérito en la Universidad de Stanford tras su retirada, en el año 2000.
14 eldentistamoderno octubre 2022 ODONTOLOGÍA DIGITAL
Artículo

Dra. Mónica Bonfanti Gris Máster en Ciencias Odontológicas por la Universidad Complutense de Madrid. Doctoranda en Ciencias Odontológicas en la Universidad Complu tense de Madrid.

Dra. María Paz Salido Rodríguez-Manzaneque Profesora Contratada Doctora en el Departa mento de Odontología Conservadora y Prótesis Bucofacial de la Univer sidad Complutense de Madrid (UCM). Co-Direc tora del Título Propio de Odontología Restauradora basada en las Nuevas Tecnologías (UCM).

Cuando hablamos de “Big Data” en Inteligencia Ar tificial, nos referimos al conjunto de datos o com binaciones de estos que permiten establecer un punto de referencia de entre toda la información aportada hasta el momento al sistema. Se trata, por tanto, del motor a partir del cual se nutre la IA. Podría decirse que, gracias a ello, se agiliza el procesamiento de un gran volumen de datos. Este tipo de tecnología tan revolucionaria (IA) está compuesta de una secuencia de “neuronas artificia les” cuya conexión crea diferentes capas que, junto con la aplicación de determinadas operaciones ma temáticas, desarrollan una red que permite la resolu ción de una tarea en concreto, como puede ser la cla sificación de estructuras en imágenes radiográficas. La IA engloba los siguientes campos de estudio:

1. Machine Learning (ML): se trata de sistemas de algoritmos con la capacidad de aprender a partir del “data” que es aportado, sin ser explícitamente programados para ello. Está principalmente diseña do para predecir resultados basándose en un con junto de datos obtenidos de forma previa (a partir de los cuales se ha nutrido y, por ende, aprendido).

2. Deep Learning (DL): se trata de un subtipo de ML en el cual las redes neuronales artificiales tienen la capacidad de adaptarse y aprender de grandes cantidades de data. Normalmente se encargan de identificar patrones y/o características comunes presentes en la información suministrada (data) de forma automática.

SEPES-DM

Dr. Ángel Herrera Martín Máster en Ciencias Odontológicas por la Uni versidad Complutense de Madrid. Máster en Endo doncia por la Universidad Complutense de Madrid.

Dr. Guillermo Pradíes Ramiro Director del Departa mento de Odontología Conservadora y Prótesis Bucofacial de la Univer sidad Complutense de Madrid (UCM). Director del Título Propio de Odontología Restauradora basada en las Nuevas Tecnologías (UCM).

Artificial Intelligence Machine Learning Deep Learning

Pese a la complejidad de estos sistemas matemáti cos, hemos de tener en cuenta que llevamos coexis tiendo con ellos desde hace años. Un ejemplo claro que tal vez todos conozcamos es el desbloqueo au tomático de nuestros dispositivos móviles a través del reconocimiento facial o dactilar. Sistemas automáticos de corrección gramatical pre sentes cuando escribimos mensajes o documentos, o incluso lo que visualiza mos en las plataformas de redes sociales están basa das en IA.

dentistamoderno

15 el
octubre 2022

revisión de la literatura

DIGITAL

Aplicaciones de la IA en la Medicina Hasta ahora, el uso de la IA en las diferentes es pecialidades médicas ha permitido una mejora no sólo en el proceso de diagnóstico de los pacientes, sino también en la toma de decisiones de los pro fesionales ante casos complejos y de difícil manejo. De entre todas las especialidades médicas, se han descrito resultados muy positivos de su em pleo en la detección de diversas patologías car diovasculares, retino-oculares y dermatológicas. De hecho, esta última es, probablemente, el área en el que se han producido los mayores avances en relación con esta nueva tecnología: se han publicado estudios sobre la detección de nevus y la clasificación de los mismos (en malignos o benignos), así como sobre la determinación de la gravedad de enfermedades inflamatorias co munes (como la psoriasis, la urticaria o algunas patologías autoinmunes bullosas) (1). Reciente mente, la tan conocida empresa Google (Google Health) lanzó una aplicación basada en IA capaz de detectar afecciones cutáneas comunes con la misma predicción que un dermatólogo. Sus resul tados fueron publicados en la prestigiosa revista Nature Medicine.

Aplicaciones de la IA en la Odontología Pero ¿qué aplicaciones podemos encontrar hoy en día en nuestro sector? Por muy inverosímil que pa rezca, llevamos unos años coexistiendo con la IA. De terminadas marcas líderes dentales han desarrollado cepillos dentales inteligentes que evalúan la técnica de higiene del paciente (2), indicándoles en qué zonas han de profundizar su rutina dento-higiénica.

Otro claro ejemplo de IA es la automatización de planes de tratamiento ortodóncicos que han sido desarrollados por múltiples compañías a través de los escaneados 3D de las bocas de nuestros pa cientes. Este caso, probablemente, ha sido la apli cación más económica y laboralmente relevante en los últimos años.

Sin embargo, es importante conocer la situación actual de este tipo de tecnologías y cómo pueden afectarnos de cara al futuro. Hasta ahora, se han descrito varios estudios científicos en los que se utilizan este tipo de “nuevas tecnologías” en el ám bito protésico con el fin de ayudar al clínico en la precisión de la preparación dentaria para prótesis fijas o en el registro de movimientos mandibulares (3,4). Además, existen ciertos sistemas que son ca paces de predecir, en las revisiones periódicas de nuestros pacientes, la posibilidad de descementa do de coronas o aflojamiento de coronas sobre im plantes (5,6). Asimismo, cabe destacar la capacidad de ciertos escáneres intraorales de reconocer y eli minar estructuras anejas no importantes (lengua, carrillos, etc.) para el diseño y creación de restaura ciones protésicas.

No obstante, ¿cuál está siendo la línea de inves tigación odontológica líder en este momento? El diagnóstico. Por el momento se han descrito estu dios en los que se ha puesto a prueba la capacidad diagnóstica de diferentes tipos de redes neurona les en el diagnóstico tanto de imágenes fotográ ficas (detección de placa bacteriana, caries, etc.) como de aquellas radiográficas (2D y 3D).

En los últimos años se ha dado mucho peso a cómo este tipo de aplicaciones podrían mejorar la capacidad diagnóstica de los profesionales odon tólogos, teniendo especialmente en consideración que no todos están igualmente formados ni po seen la misma experiencia clínica (lo cual, induda blemente, puede interferir en su capacidad crítica y de análisis). Es por ello por lo que la IA puede ser de gran utilidad: su automatización puede guiar al clínico en la toma de una mejor decisión para ase gurar un buen pronóstico del paciente.

En nuestro grupo de investigación hemos comen zado a realizar los primeros estudios de evaluación de programas de detección radiológica 2D basados en IA disponibles en la Web, en los que se eva luaron la capacidad de un programa basado en IA (Denti.Ai) para la detección de patologías cario sas en radiografías de aleta de mordida y para la determinación de un diagnóstico general del pa

16 eldentistamoderno octubre 2022 ODONTOLOGÍA

ciente incluyendo qué estructuras dentarias y tra tamientos estaban o no presentes en radiografías panorámicas (7). No obstante, en lo que se refiere a imágenes en 2D, el principal foco de atención está actualmente centrado en la detección patologías (como tumores mandibulares, fracturas radiculares o posibles signos radiológicos asociados al Síndro me de Sjögren) y en la identificación y clasificación de diversas tipologías de implantes dentales (mar ca comercial) (8,9).

En el último año se han incrementado los estudios que incluyen imágenes en 3D (Diagnocat), pero su avance es más lento por la complejidad de procesamiento de las pruebas radiológicas utilizadas. Su principal objetivo es la segmentación y clasificación tridimensional de las distintas estructuras oro-faciales. No obstante, existen artículos publicados en importantes revistas interna cionales que describen su utilización para la detección de lesiones periapicales, conductos dentarios, etc.

En definitiva, se podría concluir que la IA está co menzado a adentrarse en todas las especialidades odontológicas sin que seamos enteramente cons cientes de ello. Es un futuro que ya está en nuestro presente. Es cuestión de tiempo que su aprendizaje entre de pleno en nuestros ámbitos de trabajo.

Bibliografía

1. Gomolin A, Netchiporouk E, Gniadecki R, Litvinov I V. Artificial Intelligence Applications in Dermatology: Where Do We Stand? Front Med. 2020;7(March):1–7.

2. Lang T, Staufer S, Jennes B, Gaengler P. Clinical validation of robot simulation of toothbrushing - comparative plaque removal efficacy. BMC Oral Health. 2014;14(1):1–9.

3. Tandon D, Rajawat J. Present and future of artificial intelli gence in dentistry. J Oral Biol Craniofacial Res [Internet]. 2020 Oct [cited 2020 Oct 12];10(4):391–6.

4. Ortiz Simon, JL; Minor Martínez, A; Lorias Espinoza, D; Romero Velázquez JG. Mechatronic assistant system for dental drill handling. Int J. 2011;(7):22–6.

5. Shah RF, Bini SA, Martinez AM, Pedoia V, Vail TP. Incremental inputs improve the automated detection of implant loosening using machine-learning algorithms. Bone Jt J. 2020;102B(6):101–6.

6. Yamaguchi S, Lee C, Karaer O, Ban S, Mine A, Imazato S. Predicting the Debonding of CAD/CAM Composite Resin Crowns with AI. J Dent Res. 2019;98(11):1234–8.

7. Bonfanti-Gris, M; García-Cañas, A; Alonso-Calvo, R; Salido, MP; Pradíes G. Evaluation of an Artificial Intelli gence web-based software to detect and classify dental structures and treatments in panoramic radiographs. J Dent. 2022;1-7.

8. Sukegawa S, Yoshii K, Hara T, Matsuyama T, Yamashita K, Nakano K, et al. Multi-task deep learning model for clas sification of dental implant brand and treatment stage using dental panoramic radiograph images. Biomolecules. 2021;11(6).

9. Leite AF, Gerven A Van, Willems H, Beznik T, Lahoud P, Gaêta-Araujo H, et al. Artificial intelligence-driven novel tool for tooth detection and segmentation on panoramic radiographs. Clin Oral Investig. 2020;1–11.

eldentistamoderno

17
octubre 2022

jóvenes talentos

“LA FORMACIÓN POSGRADUADA Y ESPECIALIZADA ES FUNDAMENTAL”

Dra. Belén Morón Conejo, especialista en tecnología CAD/CAM aplicada a la Odontología Restauradora

La Dra. Belén Morón Conejo, especialista en tecnología CAD/CAM aplicada a la Odontología Restauradora, es el fiel reflejo del alto nivel de formación en Odontología que ofrecen las universidades españolas y, más concretamente, la Universidad Complutense de Madrid, donde ha cursado todos sus estudios marcados por la multidisciplinariedad, la investigación y las nuevas tecnologías. Una vocación por la Odontología y la formación continuada que le viene de familia.

ENTREVISTA 18 eldentistamoderno octubre 2022

 DM.- La vocación por la salud le viene de fami lia: su abuelo materno, el Dr. Ángel Conejo Cone jo, y su madre, la Dra. Belén Conejo Fernández, se dedican a la Odontología, mientras que su padre, el Dr. Ignacio Morón Merchante, es especialista en Medicina Familiar y Comunitaria. ¿Cómo le ha in fluido vivir rodeada de profesionales de la Odon tología y la Medicina a lo largo de su vida?

Dra. Belén Morón Conejo (Dra. B.M.C.).- De manera muy positiva. He vivido desde pequeña un estilo de vida muy marcado por las profesiones de mis padres y abuelo. He podido ver en casa la voca ción e implicación con sus pacientes, la formación y estudio continuo para seguir mejorando, así como la relación que mantienen con la Universidad. La pasión con la que desarrollan su trabajo ha sido siempre una inspiración para mí.

 DM.- ¿Qué le impulsó a estudiar el Grado de Odontología?

Dra. B.M.C.- Como ya he explicado, he tenido la suerte de poder vivir la profesión de cer ca y lo tuve claro desde el principio. Además, tiene un programa donde no sólo se estudian ciencias básicas y odontología, sino que des cubrí la aplicación de diferentes materiales y tecnologías que siempre me han apasionado. Toda esta variedad, junto con la práctica clí nica, hizo que lo encontrase muy interesante desde el primer momento.

 DM.- Todos sus estudios los ha cursado en España y, más concretamente, en la Universidad Com plutense de Madrid. ¿Por qué eligió la Universidad Complutense de Madrid?

Dra. B.M.C.- Siempre fue mi primera opción. En la Universidad Complutense de Madrid hay grandísi mos y reconocidos profesionales tanto a nivel clí nico como investigador en todos los campos de la Odontología. Además, en los rankings internaciona les está muy bien posicionada y estaba en mi mis ma ciudad. Yo tenía claro que mi objetivo era entrar y trabajar para aprovechar la oportunidad de for marme allí. Según han ido pasando los años me he dado cuenta también de la calidad y cercanía del profesorado, lo que me hizo querer continuar allí mi formación posgraduada.

 DM.- ¿Cómo catalogaría usted, según su expe riencia, la formación en Odontología en España en relación con otros países europeos?

Dra. Belén Morón

Graduada en Odontología con premio extraordinario de promo ción. UCM.

Máster Oficial en Ciencias Odontológicas. UCM.

Máster en Odontología Restauradora basada en las Nuevas Tecnologías. UCM.

Especialista en Tecnología CAD/CAM aplicada en Odontología Restauradora. UCM.

Cursando el Doctorado en Odontología. UCM.

Plaza de Ayudante en el Dpto. de Odontología Conservadora y Prótesis Bucofacial. UCM.

Profesora del Máster en Odontología Restauradora basada en las Nuevas Tecnologías. UCM.

Dra. B.M.C.- El nivel de formación en Odontología en España es muy alto. Además de una forma ción pregraduada de calidad, tenemos la suerte de contar con algunos de los mejores másteres en muchas especialidades y en diferentes ciudades españolas. Esto se puede comprobar al asistir a los congresos nacionales e internacionales, donde muchos de los ponentes son españoles gracias a su altísimo nivel de formación clínica y en muchos casos también investigadora.

19 eldentistamoderno octubre 2022

La pasión con la que mis padres y abuelo desarrollan su trabajo ha sido siempre una inspiración para mí
Dra Morón, Dr Conejo, Dra Conejo y Dr Morón.

jóvenes talentos

 DM.- Usted ha cursado el Máster en Odontología Restauradora basada en las Nuevas Tecnolo gías de la UCM. ¿Qué ha supuesto para usted esta formación dirigida por el Dr. Guillermo Pradíes? Dra. B.M.C.- Desde que terminé la carrera, tuve cla ro que quería una buena formación multidisciplinar, como ofrece el programa de este Máster. El equipo de trabajo del Dr. Guillermo Pradíes es excepcional, un variado grupo de especialistas donde tenemos la oportunidad de formarnos en diferentes campos de la Odontología como la rehabilitación oral, pe riodoncia e implantes y ortodoncia. Durante el grado tuve la oportunidad de valorar el ni vel de profesionalidad y exigencia al formar parte de un grupo de alumnos a los que nos permitían parti cipar en algunas de sus actividades. Además, el equi pamiento tecnológico del que disponemos es único. Tenemos a nuestra disposición múltiples escáneres intraorales y faciales, cirugía navegada, diferentes impresoras 3D y fresadoras, registros de la dinámica mandibular, etc. Las posibilidades son infinitas y po demos aprovechar las ventajas que presentan para potenciar nuestros tratamientos y realizar protocolos de investigación al respecto. Ha sido una etapa de aprendizaje muy intensa pero también muy divertida, de donde me llevo grandes amigos y compañeros.

 DM- La odontología digital ha provocado un cambio disruptivo en la práctica clínica diaria. ¿Qué ventajas ofrecen estos nuevos procedimien tos frente a las técnicas convencionales?

Dra. B.M.C.- Desde mi punto de vista, la principal ventaja es que mejoran la predictibilidad y la efi ciencia de nuestros tratamientos, así como la co municación con nuestros pacientes. Aunque no se trata de tener todo lo que ofrece el mercado, sino de conocer las ventajas y limitaciones que presen tan para incorporarlo a nuestros protocolos clínicos diarios.

La integración en los softwares de todos los archi vos digitales que podemos obtener nos es de gran ayuda para la fase de diagnóstico y planificación. Además, la tecnología CAD/CAM ha mejorado la exactitud de nuestros tratamientos, así como la comunicación entre la clínica y el laboratorio. Todo ello debe centrarse siempre en buscar un beneficio real para nuestros pacientes. Sin embargo, debe mos adquirir una base sólida de odontología “con vencional” en todos los campos para aprovechar y potenciarnos con sus numerosas ventajas.

 DM.- Como especialista en tecnología CAD/ CAM aplicada a la Odontología Restauradora, ¿en qué momento se encuentra el desarrollo de este tipo de tecnología en España?

Dra. B.M.C.- El ritmo de desarrollo es altísimo y aparecen continuamente nuevas tecnologías y materiales, por lo que debemos dedicar tiempo a mantenernos al día y evaluar de manera crítica toda la información que recibimos. En los últimos años, creo que los materiales utilizados con los sis temas de fabricación por fresado, como el circonio

Promoción del Máster en Odontología Restauradora basada en las Nuevas Tecnologías de la UCM.
ENTREVISTA 20 eldentistamoderno octubre 2022

o el disilicato, han evolucionado y hoy en día los utilizamos de manera cotidiana en la clínica. Creo que actualmente han irrumpido con fuerza los sistemas de impresión 3D y cada día aparecen nue vas aplicaciones. Estamos acostumbrados a pensar en los polímeros como principal material impreso, pero ya se están desarrollando materiales híbridos y cerámicas impresas, que no dudo que llegare mos a utilizar de manera rutinaria. Esta tecnología de fabricación además presenta ventajas frente a las tecnologías de fresado, como la complejidad geométrica de los objetos obtenidos y la sostenibi lidad del proceso, al reducir el volumen de material desperdiciado de los bloques de fresado.

 DM.- En cuanto a la formación especializada, ¿considera que es imprescindible para alcanzar el éxito profesional y con los pacientes?

Dra. B.M.C.- Hoy en día somos muchos más profe sionales que antes, hay un gran número de universi dades y nuevos graduados todos los años. Por ello, creo que la formación posgraduada y especializada es fundamental. Nuestra vida profesional es una ca rrera de fondo, por lo que aprovechar los primeros años para seguir formándote, adquiriendo conoci mientos y rodearte de profesionales de alto nivel con los que aprender, puede marcar la diferencia. Además, creo te permite adquirir el buen hábito de querer seguir formándote de manera continua. Es nuestro deber transmitirles a los pacientes el esfuer zo y dedicación que todo ello conlleva, para que sepan valorarlo y estén tranquilos de que vas a rea lizar el mejor trabajo que puedes ofrecerles.

 DM.- España es todavía el único país europeo en el que las especialidades odontológicas no están reconocidas de manera oficial. ¿Cómo afecta esta circunstancia a los jóvenes odontólogos españoles?

Dra. B.M.C.- Las especialidades odontológicas de momento no están reguladas y se lleva muchos años debatiendo sobre las mismas sin que perciba mos grandes avances. Creo que, aunque no estén reguladas, existen muchos profesionales especia lizados, con una sólida formación posgraduada y capaces de realizar los tratamientos más exigen tes. Aunque puede haber un agravio comparativo frente a otros países europeos, donde sí que están definidas, y los odontólogos que optan por ejercer su profesión fuera de España pueden verse perju dicados. La gran precaución que debemos tener al principio los jóvenes odontólogos es realizar los

tratamientos que dominemos y para los que es temos realmente preparados; debemos conocer nuestros límites para poder seguir avanzando.

 DM.- ¿Qué significa ser mujer y dentista hoy en día? ¿Cómo ha evolucionado el papel de la mujer en la profesión?

Dra. B.M.C.- La presencia de mujeres en nuestra pro fesión no ha dejado de crecer en los últimos años. Es algo positivo que hay que tratar con naturalidad y buscar siempre la igualdad de oportunidades, como creo que afortunadamente ocurre en la mayoría de los casos. Personalmente, he tenido la suerte de formarme en la Facultad con mujeres con un nivel profesional altísimo. Lo he visto también en casa, con mi madre quien lleva muchos años trabajando en esta profesión y dirigiendo su clínica. Tengo que reconocer que mi experiencia personal siempre ha sido muy positiva en este aspecto.

eldentistamoderno

En la Universidad Complutense de Madrid hay grandísimos y reconocidos profesionales tanto a nivel clínico como investigador en todos los campos de la Odontología ”
La Dra. Morón en la clínica.
21
octubre 2022

jóvenes talentos

 DM.- Actualmente, ¿en qué proyectos profesio nales se encuentra inmersa?

Dra. B.M.C.- Mi último proyecto después de termi nar el Máster ha sido empezar mi tesis doctoral. En mi último año de carrera obtuve una beca de co laboración del Ministerio de Educación con el De partamento de Prótesis que me acercó a la investi gación de la mano del Dr. Pradíes. La investigación científica durante el Grado me llamaba la atención, ir un paso más allá profundizando y buscando el porqué de las cosas. Después de terminar, cursé el Máster en Ciencias Odontológicas, ampliando mi formación en metodología de la investigación y

descubriendo un campo que me ha gustado desde el principio. Actualmente estoy desarrollando algu nos protocolos enfocados en la impresión 3D y su aplicación clínica como parte de mi tesis doctoral. Es una tecnología con muchísimo desarrollo en el futuro y con la que están apareciendo nuevos ma teriales que, sin duda, tendremos que evaluar para sacarles el máximo partido.

DM.- Si pudiera orientar a un odontólogo recién licenciado, ¿qué consejos le daría?

Dra. B.M.C.- A mi yo de hace 5 años le diría que no tenga miedo a equivocarse y que se aprenden cosas nuevas todos los días. Tenemos una profe sión muy bonita, con múltiples caminos que van apareciendo según pasa el tiempo. Además, creo que el esfuerzo no termina con la carrera, más bien todo lo contrario, no hace más que empezar. Mi hu milde consejo es que nunca dejen de formarse y busquen oportunidades tanto laborales como aca démicas de calidad para seguir creciendo no solo como profesionales, sino también como personas, centrándose siempre en el paciente.

 DM.- En su opinión, ¿qué futuro les depara a los jóvenes odontólogos de nuestro país?

Dra. B.M.C.- El futuro es siempre una oportuni dad. Creo que hay que ser positivo y sobre todo estar muy bien preparado para poder aprovechar las oportunidades que vayan apareciendo. Hay que formarse muy bien y estar siempre en mo vimiento (leer, ir a cursos y congresos, etc.) para conocer a compañeros y amigos con los que intercambiar opiniones, abrir nuevos horizontes y mantenerse al día.

La Dra. Morón, ponente en el taller de escaneres intraorales en SOCE 2020. Ponentes de SEPES Baqueira 2022.
Nuestra vida profesional es una carrera de fondo, por lo que aprovechar los primeros años para seguir formándote, adquiriendo conocimientos y rodearte de profesionales de alto nivel con los que aprender, puede marcar la diferencia
ENTREVISTA 22 eldentistamoderno octubre 2022

" S i n n e c e s i d a d d e i r a r a m a "

I d e a l p a r a t é c n i c a s d e e n c o f r a d o

A u m e n t o v e r t i c a l

A u m e n t o h o r i z o n t a l B r e c h a s d e n t a l e s

M e n o s t i e m p o q u i r ú r g i c o

S i n r i e s g o s e n l a o b t e n c i ó n d e i n j e r t o

S i n i n s t r u m e n t a l

23 eldentistamoderno octubre 2022 CÓMODO M Á S R Á P I D O S I N R I E S G O S
#Y O U S O A L O I N J E R T O L á m i n a c o r t i c a l r í g i d a m i n e r a l i z a d a w w w . s a l u g r a f t d e n t a l . c o mm a r k e t i n g @ s a l u g r a f t d e n t a l c o m T +34 932 380 735 @SalugraftDental
e s p e c í f i c o M e n o s m o r b i l i d a d p a r a e l p a c i e n t e M á x i m a s e g u r i d a d y c o m o d i d a d A l o i n j e r t o e s t r u c t u r a l m i n e r a l i z a d o p a r a T é c n i c a K h o u r y B e n e f i c i o s T e c n o l o g í a * L á m i n a y a h i d r a t a d a m a n t e n i e n d o l a s p r o p i e d a d e s b i o m e c á n i c a s d e l i n j e r t o C o r t e s í a d e l D r . R a m ó n L o r e n z o ( P e r i o c e n t r u m ) Realiza tus Rcirugías ealiza tus cirugías rápidas y rseguras ápidas y seguras L I S T A P A R A U S A R ¿ Q u i e r e s v e r e l t e s t i m o n i o y e l c a s o c l í n i c o d e l D r . F e r n a n d o G a r c í a S a l a B o n m a t í ? 30 x 15 x 1mm

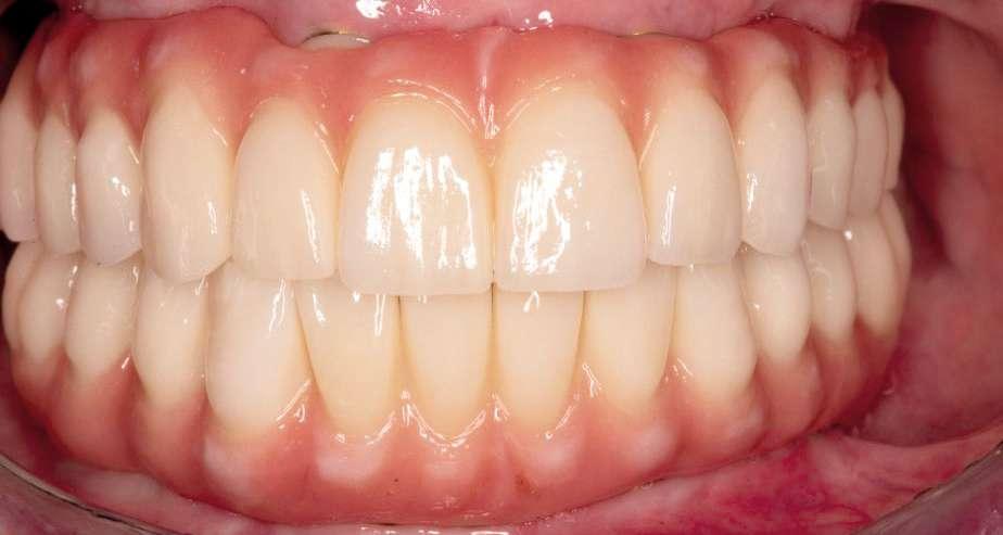
REHABILITACIÓN ESTÉTICA Y FUNCIONAL DE UNA BOCA COMPLETA CON EL CONCEPTO DE TRATAMIENTO ALL-ON-4®

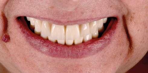
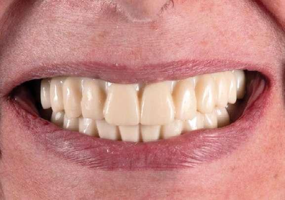
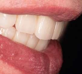
En este caso clínico el Prof. Enrico Agliardi nos detalla, paso a paso, la rehabilitación estética y funcional de una boca completa con el concepto de tratamiento All-on-4®.

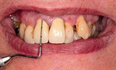
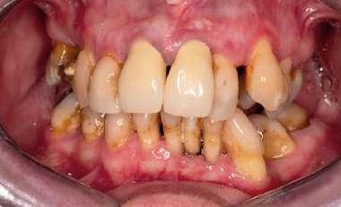
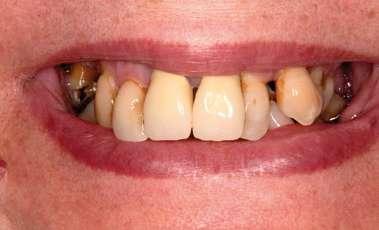
Paciente: mujer, 59 años.

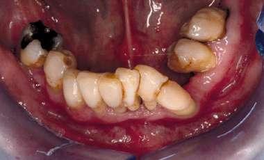
Situación clínica: dentición de mal pronóstico en el maxilar superior e inferior debido a una enfer medad periodontal severa, función comprometida.

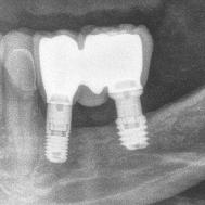
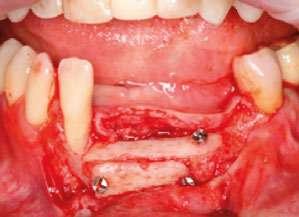
Solución quirúrgica: extracción de los dientes remanentes comprometidos y colocación de 4 implantes Nobel Biocare N1 en el maxilar y 4 im plantes intraorales en la mandíbula siguiendo el protocolo quirúrgico All-on-4®.

Solución restauradora: puente completo sobre implantes de zirconia (Nacera).

Fecha de la cirugía: marzo de 2021.

Tiempo de tratamiento total: 6 meses.

Posición de los dientes: todos.

A pesar del volumen óseo adecuado, el caso presen ta varios desafíos tanto quirúrgicos como protésicos. Desde el punto de vista quirúrgico, el manejo de una extensa sonrisa gingival se ha planteado corregir me diante una osteotomía calibrada en imágenes extra e intraorales previas a la cirugía. Protésicamente ha blando, la entrega de una rehabilitación inmediata de ambas arcadas es otro desafío que hemos abordado durante el caso, debido a la falta de puntos de refe rencia y la estética severamente comprometida, que ha sido manejada a través de una cuidadosa planifi cación de las prótesis fabricadas antes de la cirugía. El factor clave para el éxito fue un extenso trabajo de análisis de modelos y registros fotográficos.

Situación clínica inicial Radiografía preoperatoria. Los dientes residuales presentan enfermedad periodontal severa y res tauraciones comprometidas. Vista frontal intraoral preoperatoria. Vista oclusal superior intraoral preoperatoria. Vista oclusal inferior intraoral preoperatoria. Sonrisa del paciente antes de la cirugía. Análisis de la sonrisa gingival antes de la cirugía.
caso clínico 24 eldentistamoderno octubre 2022 IMPLANTOLOGÍA
1 2 3
4 5 6

Prof. Enrico Agliardi

El Prof. Enrico Agliardi se graduó en Medicina y Cirugía en la Universidad de Milán como especia lista en Cirugía Maxilofa cial y Ortodoncia. Desde diciembre de 2009, es director del Departamento de Cirugía Especial de Rehabilitación en San Raffaele Dental Clinic. Es experto en cirugía oral, ortognática, cirugía pre protésica y preimplantaria e implantología avanzada con implantes tanto intraorales como extraorales. Es Pro fesor de Cirugía Especial de Rehabilitación de la Facultad de Medicina y Programa de Cirugía e Higiene Dental de la Universidad Vita Salute S. Raffaele Milán. Supervisa varios congresos nacionales e internacionales y es autor y coautor de varios libros y publicaciones a nivel nacional e internacional.

dentistamoderno

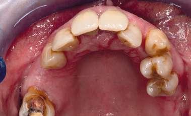
Solución quirúrgica

Elevación del colgajo y exposición del hueso. Regularización de la cresta teniendo en cuenta la cantidad de reducción ósea necesaria para corre gir el aspecto de la sonrisa gingival. 7 Nivel final de regularización de cresta. Colocación del Sistema de implantes N™ - instru mento OsseoDirector™. Instrumento OsseoShaper 1™. Colocación implante Nobel Biocare N1™RP. Fases quirúrgicas en mandíbula - instrumen to OsseoDirector™. OsseoShaper 1™. Colocación implante Nobel Biocare N1™ RP. Colocación definitiva de implantes en el maxilar superior. 25 el Colocación definitiva de implantes y pilares Multi-Unit Xeal™ en la mandíbula.
octubre 2022 Artículo patrocinado
8 11 9 10 12 13 14
15 16 17

clínico

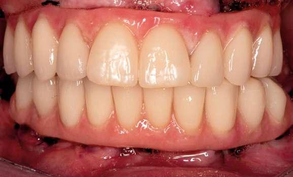
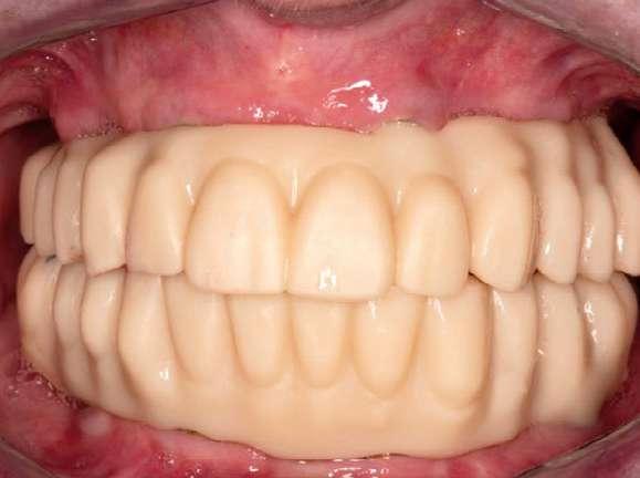
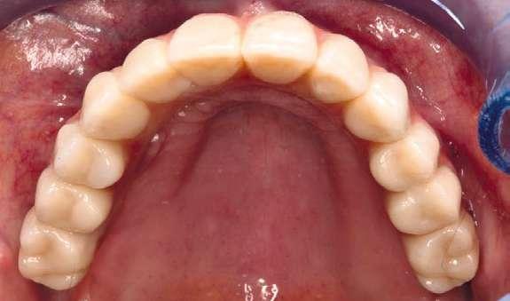
Solución protésica

Prótesis provisional colocada inmediatamente después de la cirugía. Resultado sonrisa con prótesis provisional. 19 Control radiográfico tras la cirugía. Prueba de estructura de zirconia monolítica. 21 Prueba de estructura de zirconia monolítica. Nacera Pearl Shaded zirconia.
caso
26 eldentistamoderno octubre 2022 IMPLANTOLOGÍA
18
20
22 23
Cut back de la estructura para realizar una estratificación cerámica y mejorar el resultado estético. Figuras 26 y 27. Restauración definitiva lista para colocar en el paciente.
27 eldentistamoderno octubre 2022
24
26 25 27 Artículo patrocinado

clínico

Restauración definitiva colocada en la paciente 6 meses después de la cirugía. Vista oclusal del maxilar. 29 Resultado estético final. Control radiográfico con rehabilitaciones definiti vas a los 8 meses de la cirugía. 32 33 Resultado estético final. caso Vista oclusal de la mandíbula. 28 eldentistamoderno octubre 2022 IMPLANTOLOGÍA 30
Resultado
31
28

contraindicaciones,

no

países según la normativa. Contacta con la subsidiaria local de

las

eldentistamoderno octubre 2022

Instrucciones de uso,

SUPERFICIES

Lleva el tratamiento de edentulismo a otro nivel con la sinergia de las superficies: implantes TiUltraTM y pilares XealTM Descarga el e-book GRATUITO Cómo empezar con el concepto de tratamiento All-on-4® (incluye curso online)

29
GMT 81317 ES © Nobel Biocare Services AG, 2022. Reservados todos los derechos. Nobel Biocare, el logotipo de Nobel Biocare y todas las demás marcas comerciales son, a menos que se especi�ique lo contrario o se deduzca claramente del contexto en algún caso, marcas comerciales de Nobel Biocare. Para obtener más información, visita nobelbiocare.com/trademarks. Las imágenes de los productos no están necesariamente reproducidas a escala. Todas las imágenes de producto solo están destinadas a servir como ilustración y pueden no ser una representación exacta del producto. Exención de responsabilidad: Puede que
se permita poner a la venta algunos productos en algunos
Nobel Biocare para conocer la gama de productos actual y su disponibilidad. Consultar la información completa sobre prescripción en las
incluidas
indicaciones,
advertencias y precauciones. nobelbiocare.com/es-es Restaura la belleza de una sonrisa en un día con el concepto de tratamiento All-on-4® Más de 250.000 pacientes* tratados con éxito Prótesis �ija de arcada completa sobre cuatro implantes *Nobel Biocare (Datos de archivo)

CUADERNO DE BITÁCORA DE UN HIGIENISTA DENTAL A NIVEL INTERNACIONAL

Por Eva López de Castro, presidenta y delegada internacional de la Federación Española de Higienistas Bucodentales (HIDES) y presidenta de HIDES Castilla y León

Bajo el lema “El futuro en nuestras manos”, la Asamblea Internacional de la Federación Internacional de Higienistas Dentales (IFDH) reunió a los delegados internacionales, entre los que se encontraba Eva López de Castro, presidenta y delegada internacional de la Federación Española de Higienistas Bucodentales (HIDES) y presidenta de HIDES Castilla y León, quien a lo largo de este artículo relata la experiencia de participar en este encuentro en representación de todos los higienistas dentales españoles.

La IFDH (Federación Internacional de Higienis tas Dentales) nació en Oslo el 28 de junio de 1986 y está formada actualmente por 35 Aso ciaciones Nacionales de Higienistas Dentales de 35 países diferentes, del que HIDES es el representan te único de España .

Soy delegada internacional de HIDES desde 2017 y, aunque he asistido a reuniones internacionales,

nunca había participado de una Asamblea Interna cional ni mucho menos de un Simposio Internacio nal de Higienistas.

El pasado 8 de agosto, nos dieron cita en el Gran Hotel de Malahide (Irlanda) a los delegados inter nacionales para participar en la Asamblea, la pri mera después de una pandemia, bajo el eslogan “El futuro en nuestras manos”.

salud oral 30 eldentistamoderno octubre 2022 OPINIÓN

Y es que la IFDH entiende que la OMS ha ofrecido a todos los profesionales sanitarios relacionados con la salud oral la oportunidad de formar parte de una hoja de ruta para asegurar que todos te nemos los mismos derechos y oportunidades de recibir atención oral.

La IFDH es miembro de casi todas las organizacio nes internacionales relacionadas con la salud oral como la ACFF (Alianza por un Futuro sin Caries), ADEE (Asociación de Estudios Dentales Europeos), OHP (Plataforma por una Mejor Salud Oral)…, for mando parte de casi todos los foros profesionales relacionados con la salud oral, lo que nos permite a todos los miembros participar en importantes de bates profesionales.

Durante la Asamblea Internacional despedimos a una presidenta holandesa, Corrie Joingbloed-Zoet, promotora e impulsora junto a Yvonne Nyblom (Suecia) del CEC (Currículum Común Europeo) y di mos la bienvenida a una Junta Directiva capitanea da por Wanda Fedora, de Canadá; Fouzie Eliassy, de

Suecia, como Vicepresidenta; Sharon Friedman, de Israel, como secretaria; y Donna Paton ,de Irlanda, como tesorera. Además, en la IFDH está estableci do –con mucha lógica– elegir a la presidenta elec ta, con el fin de que una vez finalice el mandato de la presidenta (son 2 años) tome el relevo la pre sidenta electa, en este caso Jill Rethman, de USA. España fue felicitada por ser el país que más noti cias profesionales había generado este último año y, además, de mayor interés profesional. Cabe re cordar las actividades (Olimpiadas, Congreso Na cional) y reuniones con la Administración (conse guir que se haga una pregunta a la Comisión de Salud del Parlamento europeo). Y podemos decir que soy la primera y única española en formar par te de un comité internacional, en este caso de Res ponsabilidad Social.

En la imagen, un momento de la ceremonia inaugural del Simposio Internacional de Higienistas 2022, cele brado en Dublín (Irlanda).

La Asamblea Internacional de la IFDH contó con la par ticipación de representantes de 35 países, entre los que se encontraba España.

España fue felicitada por ser el país que más noticias profesionales había generado este último año y, además, de mayor interés profesional
31 eldentistamoderno octubre 2022

Una vez finalizada la Asamblea Internacional con la sensación de haber renovado nuestra savia y llenos de nuevos proyectos, nos trasladamos a The Convention Center de Dublín para ensayar la ceremonia inaugural… Todo un acontecimiento: 36 banderas (de 35 países y la de la IFDH) nos espe raban en unos estandartes de madera soportando un peso considerable.

Así, el jueves 11 de agosto a las 10 de mañana (hora irlandesa) daba comienzo la ceremonia inaugural del Simposio Internacional de Higienistas Dentales. Llevaba un vestido rojo y unas flores en mi pelo como distintivo nacional, era evidente que yo era España y con mucho orgullo y emoción icé nuestra bandera y la ondeé en el escenario al oír “¡Spain!”, recordando a todos los higienistas dentales que te nían la vista puesta en mí.

La IFDH organiza Simposios Internacionales con carácter bianual, procurando alternar el emplaza miento entre Europa y el resto del mundo. Así, este año se celebraba en Dublín (Irlanda) y en 2024 está

previsto que dicho Simposio tenga lugar en Seúl (Corea), dando así oportunidad a todos los higie nistas a participar.

El Simposio Internacional de Higienistas de este año dio cita a más de 800 higienistas dentales de 40 países, teniendo en cuenta que dada la cercanía muchos éramos europeos, si bien lamentablemen te era la única española.

El Simposio se recorría con ponencias en el audi torio y paralelamente talleres y otras ponencias esponsorizadas en salas aledañas de todo “The Convention Center”. Eran 55 ponentes de 19 países diferentes, con temas variados y muy interesantes para nuestra profesión. El objetivo del Simposio era descubrir el papel vital que desempeñan los hi gienistas dentales como proveedores de atención médica primaria a través de la exploración de en foques innovadores y basados en la evidencia. Esto se logró a través de la presentación de 87 sesiones orales y 87 pósters.

El Simposio no solo ofreció contenido científico, sino que los patrocinadores y expositores jugaron un papel muy importante para que el evento fuera un éxito con más de 30 exhibiciones comerciales.

La IFDH continuó su exitosa Cumbre Mundial de Sa lud Bucal (que se estrenó virtualmente en 2021) con la Parte 2, celebrada el jueves 11 por la tarde. Presi dido por la presidenta, Corrie Jongbloed, hubo tres presentaciones que consistían en una explicación de las Estrategias Globales de Salud Bucal de la OMS, que los higienistas dentales tratan en todo el mundo. El viernes 12 de agosto por la noche fuimos agasa jados con una divertida cena de gala en la Guiness Storehouse, con bailes tradicionales irlandeses y degustación para disfrutar de las nuevas amistades hechas durante esos seis días .

La entrega de premios tuvo lugar el sábado 13, poco antes de la clausura, y la alegría de cono cer a las ganadoras y saber que su esfuerzo había sido reconocido a nivel internacional es, sin duda, el culmen profesional.

La clausura del Congreso olía a despedida. Algunos nos veremos pronto en próximas reuniones, quizás tengamos oportunidad de asistir a otros Simposios o eventos internacionales, otros nos seguiremos por redes sociales, pero todos nos llevamos sin duda un experiencia envidiable y muy gratificante que he intentado compartir con este artículo a to dos los higienistas dentales de España.

¡Gracias HIDES por brindarme una experiencia única!

“ El Simposio Internacional de Higienistas de la IFDH de este año dio cita a más de 800 higienistas dentales de todos los países
En la imagen, Eva López de Castro, presidenta y delega da internacional de HIDES, acompañada de represen tantes de diversos países en el marco del Simposio Internacional de Higienistas Dentales.
salud oral 32 eldentistamoderno octubre 2022 OPINIÓN

ENTREVISTAS

• Jesús Bonilla, director general de Sanitas Dental

• Isabel García, Manager General y asesora técnica de Bredent Group Spain

ORAL MEDICINE INSIDE by

“Con el III Congreso Knotgroup buscamos devolver nuestra profesión al lugar del que nunca debió salir”

Por Dr. Pedro Guitián, Director Médico del Centro Médico Odontológico Guitián, miembro de Knotgroup y Presidente del III Congreso Knotgroup “Los Orígenes”

PENSANDO EN

Bruce Lieberthal, Vice

y Chief

de Henry Schein,

Siguiendo la evolución de la Odontología para el profesional del sector llamado a construir el futuro
EL FUTURO Cómo la Inteligencia Artificial está cambiando el panorama dental Por
President
Innovation Officer
Inc. GESTIÓN, COMUNICACIÓN Y MARKETING La historia clínica
salud oral 34 eldentistamoderno octubre 2022
35 eldentistamoderno octubre 2022

Sanitas Dental

“ES FUNDAMENTAL QUE LA INNOVACIÓN

VENGA DE LA MANO DE LA MEJORA DE LA EXPERIENCIA DE PACIENTE”

Jesús Bonilla, director general de Sanitas Dental

Con una filosofía basada en mejorar la experiencia de sus pacientes y en aplicar la tecnología para optimizar sus procesos, en Sanitas Dental apuestan decididamente por integrar la innovación y la digitalización en su negocio. Así lo explica en esta entrevista Jesús Bonilla, director general de Sanitas Dental, destacando su objetivo de “brindar la mejor atención a nuestros pacientes”, lo que “nos impulsa a seguir poniendo a prueba día a día cómo hacemos las cosas y a encontrar puntos de mejora continua”.

34 eldentistamoderno octubre 2022 ENTREVISTA

siguiendo la evolución de la Odontología

 DM.- La innovación y la digitalización son se ñas de identidad de Sanitas Dental. ¿Cuál es el objetivo de la compañía en cuanto a la utiliza ción de la tecnología más avanzada en sus clíni cas dentales?

Jesús Bonilla (J.B.).- Hace tiempo que en Sanitas Dental supimos ver todas las ventajas que supone la integración de la digitalización en nuestro ne gocio. Llevamos tiempo implementándolo en toda la cadena de valor, pero para nosotros lo que ha supuesto una auténtica revolución ha sido incorpo rarla en nuestra relación con el paciente y en todo aquello que mejore su experiencia con nosotros. Además de todas las ventajas que ha supuesto para nosotros y para nuestros pacientes la intro ducción de mecanismos como las videoconsultas o la petición y aceptación de cita online, el verda dero cambio de paradigma ha venido de la mano de los tratamientos y de las técnicas diagnósticas, como el escáner intraoral.

 DM.- La digitalización se ha convertido en un pilar fundamental en los tratamientos que ofre cen a sus pacientes. ¿En qué soluciones y herra mientas ponen el foco desde Sanitas Dental para ofrecer los tratamientos más innovadores?

J.B.- Para nosotros es fundamental que la innovación venga de la mano de la mejora de la experiencia de paciente. Introducir tecnologías como el escáner in traoral nos permite tener una imagen 100% real de la boca de nuestros pacientes sin tener que utilizar moldes y pastas. Además, nos permite fusionar esas imágenes con otros archivos extraídos de una radio grafía 3D, por ejemplo. Con esto conseguimos tener una mayor precisión y predictibilidad de cómo irán los tratamientos, lo cual reduce los tiempos y mejo ra notablemente la percepción del paciente. Además, contamos también con un novedoso softwa re de diseño digital de la sonrisa, que permite al paciente tener un papel totalmente activo en la toma de decisión en cuanto a cómo funcionará su tratamiento con la ortodoncia, por ejemplo. Y, por último, recientemente estamos apostando por aprovechar tecnologías que se utilizan en otras especialidades como la neurología para sacarles el mayor partido en odontología. Recientemente, en el Hospital Universitario Sanitas La Zarzuela lleva mos a cabo la colocación de unos implantes cigo máticos gracias a la navegación dinámica. Con ello, ganamos en precisión y en tiempo, ya que reduci mos el tiempo de la intervención a solo 5 minutos.

 DM.- La formación de los odontólogos y su equipo es clave en este cambio de paradigma. ¿Qué formación ofrecen a sus profesionales para ayudarles en esta transformación digital?

J.B.- Desde Sanitas Dental ofrecemos formación continua a nuestros equipos para que puedan uti lizar de forma óptima la tecnología. Una atención excelente a nuestros pacientes no puede enten derse sin una formación de calidad detrás.

Cada vez que incorporamos un nuevo procedimien to o una nueva tecnología, desplegamos a nuestro equipo para que pueda formar a las más de 200 clí nicas de nuestra red. Para nosotros la excelencia es algo que perseguimos en nuestro día a día.

 DM.- ¿De qué manera están trabajando para incor porar en las clínicas de Sanitas Dental la tecnología utilizada en las distintas áreas médicas de Sanitas?

J.B.- Todas nuestras clínicas dentales cuentan con la última tecnología para poder atender a nues tros pacientes. El escáner intraoral, por ejemplo,

eldentistamoderno

Incorporar la digitalización en nuestra relación con el paciente y en todo aquello que mejore su experiencia con nosotros ha supuesto una auténtica revolución ”
35
octubre 2022

Sanitas Dental

está presente en toda nuestra red y es uno de los disposi tivos más útiles con los que contamos, ya que a nivel diag nóstico nos permite ser mucho más precisos.

A partir de ahí, estamos sien do pioneros también en la introducción de otras tecno logías para la realización de algunas intervenciones. En este sentido, somos muy afor tunados de formar parte de un grupo como Sanitas con hospitales punteros en la úl tima tecnología. Dentro de esos hospitales, tenemos gabinetes disponibles, lo que nos ayuda muchísimo a la hora de hacer intervenciones más complejas.

 DM.- La digitalización aplicada al customer journey está presente en todas sus clínicas dentales. En este sentido, ¿cómo aprovechan la digitaliza ción para facilitar las gestiones con el paciente?

J.B.- Ahora mismo, cualquier proceso está digita lizado. Si eres asegurado de Sanitas puedes pedir cita directamente a través de la app Mi Sanitas y a partir de ahí empieza todo el mecanismo adminis trativo que está completamente digitalizado. Para aquellos que no tienen el seguro, pueden pedir cita a través de nuestra web y seguiría el mismo procedimiento.

Cuando un paciente llega a clínica, tenemos dis positivos inalámbricos para que ellos mismos re llenen su historial y cuando terminan, esa informa ción llega directamente a gabinete, con lo que el odontólogo está totalmente informado cuando el paciente llega a la consulta. Tras venir a la clíni ca, podemos hacerle seguimiento a través de vi deoconsultas, lo que es una mejora notable para nuestros pacientes, que evitan desplazarse si no es estrictamente necesario.

Para el control de las citas, además, contamos con un bot que nos ayuda con toda la gestión de las agendas. Al final, todo se basa en facilitar la vida a nuestros pacientes y en aplicar la tecnología para optimizar nuestros procesos.

nueva convocatoria? ¿Cómo ha sido la respuesta por parte de los odontólogos?

J.B.- La convocatoria está abier ta hasta el 30 de septiembre, por lo que todavía estamos re cibiendo candidaturas, pero por el momento la respuesta está siendo mejor que nunca. Esta mos recibiendo muchos casos y todos de una calidad excep cional. Realmente, va a ser muy duro para el jurado este año. Como novedad, esta edición vamos a premiar una cate goría más a la que hemos denominado Daily Clinic y que busca reconocer la excelencia en el día a día en el gabinete. La incorporación de esta categoría tiene todo el sentido del mundo porque, al final, se trata de ser excelentes todos los días en la atención a los pacientes, no solo en casos complejos. Así es como lo vivimos en Sanitas Dental y por eso vi mos la necesidad de crear una nueva categoría.

 DM.- Háblenos de su plan de aperturas de clí nicas. ¿Qué previsiones de aperturas tienen hasta que finalice el año? Y ¿qué previsiones de cierre tienen para la compañía para este 2022?

J.B.- Sanitas Dental está en expansión. Nos hemos expandido incluso en la pandemia. Este año he mos tenido 3 aperturas y de aquí a final de año tenemos planificadas algunas más e incluso alguna compra. Nuestra intención es seguir en esta senda de crecimiento para los próximos años y dar conti nuidad a otras iniciativas que nos permitan expan dirnos también en otros niveles.

 DM.- Y, por otro lado, ¿qué líneas estratégicas se han planteado desde Sanitas Dental de cara a 2023?

J.B.- Tenemos muy claro lo que queremos y cuál es nuestra estrategia. Seguiremos trabajando en cre cer y en ser cada vez más digitales, incorporando cosas como la inteligencia artificial para optimizar todavía más nuestros procesos.

 DM.- Tras el éxito de ediciones anteriores, Sanitas Dental ha convocado la quinta edición de los Pre mios Sanitas Dental Star. ¿Qué novedades trae esta

Y, sobre todo y lo más importante, continuar con nuestra obsesión de seguir centrados en brindar la mejor atención a nuestros pacientes. Este objetivo es lo que nos impulsa a seguir poniendo a prueba día a día cómo hacemos las cosas y a encontrar puntos de mejora continua.

“ Somos muy afortunados de formar parte de un grupo como Sanitas con hospitales punteros en la última tecnología
“ Desde Sanitas Dental ofrecemos formación continua a nuestros equipos para que puedan utilizar de forma óptima la tecnología
36 eldentistamoderno octubre 2022

Una manera fácil de causar una buena impresión [1] Glebova T, Informe de validación del producto VivaScan, Informes de prueba, Ivoclar Vivadent, 2021.

VivaScan®

Solución compacta e intuitiva[1] para su entrada en el escaneo intraoral Integración fácil y sin esfuerzo en su consulta [1]

Diseño ligero y ergonómico para una experiencia de escaneo cómoda [1]

ivoclar.com Making People Smile

industria

“OFRECEMOS SOLUCIONES Y TERAPIAS QUE AYUDAN AL CLÍNICO

A ESTAR AL MÁXIMO NIVEL”

La multinacional de origen alemán Bredent Group se dedica desde hace más de 40 años al desarrollo de prótesis dentales y productos odontológicos pensados para odontólogos y pacientes. Isabel García Thierfeldt, Manager General y asesora técnica de Bredent Group Spain, explica en esta entrevista cómo trabajan desde la compañía para ofrecer las herramientas más idóneas para el clínico y las soluciones más eficaces para sus pacientes.

dental 38 eldentistamoderno octubre 2022 ENTREVISTA

siguiendo la evolución de la Odontología

 DM.- ¿Qué valores definen la filosofía de Bredent Group?

Isabel García Thierfeldt (I.G.T.).- El permanente anhelo de conseguir la perfección forma parte de la naturaleza humana. Nosotros, como Bredent Group, nos hemos comprometido a asumir la res ponsabilidad de actuar tanto interna como exter namente de forma fiel a nuestros valores. Eficien cia, colaboración y orientadores.

 DM.- En este sentido, ¿cuál es su seña de identi dad en cuanto a la innovación de sus soluciones?

I.G.T.- Desarrollamos productos individuales ópti mamente armonizados, soluciones sistémicas –por ejemplo en el segmento de la protésica implantar– y conceptos terapéuticos “made in Germany”, y los fabri camos nosotros mismos. Esto permite a odontólogos y técnicos dentales confeccionar y mantener sustitutos dentales estéticos e higiénicos desde el punto de vista periodontal de gran valor y con unos costes razonables.

Desarrollamos productos individuales óptimamente armonizados, soluciones sistémicas y conceptos terapéuticos ‘made in Germany’, y los fabricamos nosotros mismos ”

 DM.- Como proveedor de productos y solucio nes para el laboratorio y la clínica dental, ¿qué es lo más importante a la hora de desarrollar una nueva solución?

I.G.T.- Nuestro afán es pertenecer a los mejores. Por ello nuestros asesores están dispuestos a prestar el

39 eldentistamoderno octubre 2022

industria dental

mejor servicio a nuestros clientes y sus pacientes con la flexibilidad y el espíritu abierto necesarios. Con nuestra competencia y fuerza innovadora so mos un ejemplo para el mercado dental.

 DM.- En este sentido, ¿cuáles son las necesida des del mercado en la actualidad, tanto desde el punto de vista de sus clientes como para el pa ciente?

I.G.T.- Obtener soluciones y terapias que ayuden al clínico a estar al máximo nivel y al paciente a obte ner un trabajo adecuado a su necesidad.

 DM.- En líneas generales, ¿qué soluciones odontológicas ofrecen a los profesionales?

I.G.T.- Desde la cirugía guiada como el tratamien to de restauraciones inmediatas creadas desde un programa de planificación hasta la prótesis provi sional con materiales de última generación y de finiendo la solución definitiva con materiales bio compatibles y compensados entre sí.

DM.-¿Cuáles han sido las últimas innovaciones de Bredent lanzadas en el mercado español?

I.G.T.- WhiteSKY, el implante de circonio de segun da generación, con más de 15 años de experiencia en el mercado; copaSKY, el implante ultracorto; Fast&fixed, con más de 15 años de experiencia de carga inmediata; BiohPP, un polímero de alto rendimiento fisiológico y estético; Crea.lign, una cerámica líquida para obtener la mejor estética; y Luxor, el circonio de la 5ª Generación para obtener la mejor estética deseada.

DM.- A nivel formativo, ¿qué tipo formación ofrecen desde Bredent Group a los odontólogos?

I.G.T.- Para Bredent Group la formación es una par te muy importante y es por ello que ofrecemos cursos de formación en nuestro Centro de Forma ción IFZI, en Núremberg, donde el odontólogo ob tiene la formación de cómo ver la implantología de otra forma. Ofrecemos cursos tanto teóricos como prácticos, así como workshops, estancias clí nicas de un día en diferentes ciudades de España y charlas informativas.

DM.-¿Qué cursos comprenden el programa for mativo de la compañía? ¿Qué formatos y enfoque han elegido para estas acciones formativas?

I.G.T.- Desde Bredent Group ofrecemos charlas so bre diferentes aspectos de la implantología como la terapia fotodinámica HELBO. Y también forma ción sobre cómo agilizar una cirugía por medio de la planificación y la cirugía guiada.

 DM.- Teniendo en cuenta la vocación interna cional de Bredent Group, ¿qué papel juega Bre dent Spain dentro del grupo?

I.G.T.- Bredent Spain es una parte más de la compa ñía alemana Bredent Group GmBH.

DM.-¿Qué previsiones tienen para la compañía en España para este 2022/23?

I.G.T.- Seguir formando e informando al odontólogo y al implantólogo y, en general, estar presentes en el mercado español.

DM.- Por último, ¿en qué nuevas soluciones es tán trabajando actualmente?

I.G.T.- Nos estamos enfocando sobre todo en el tema digital en la clínica y el laboratorio.

“ Nuestros empleados están dispuestos a prestar el mejor servicio a nuestros clientes y sus pacientes con la flexibilidad y el espíritu abierto necesarios
40 eldentistamoderno octubre 2022 ENTREVISTA
bredent group Spain SL · Asesoramiento técnico: Isabel Garcia Thierfeldt · T: +34 961 363561 / +34 607 320666 · @: bredentgroup@bredent.es bredent medical GmbH & Co. KG · Weissenhorner Str. 2 89250 Senden · Germany · T: +49 7309 872-456 · F: +49 7309 872-444 · www.bredent-medical.com · @: info-medical@bredent.com Salvo error y modifi caciones ¿Largo? ¿Corto? ¿Ultracorto? ¡El nuevo copaSKY! Conexión híbrida innovadora –Mucho espacio para el tejido blando –Permite el posicionamiento subcrestal

PROFESIÓN AL LUGAR DEL QUE NUNCA DEBIÓ SALIR”

Por Dr. Pedro Guitián, Director Médico del Centro Médico Odontológico Guitián, miembro de Knotgroup y Presidente del III Congreso Knotgroup “Los Orígenes”

El Dr. Pedro Guitián, Director Médico del Centro Médico Odontológico Guitián en Vigo y miembro de Knotgroup, es el Presidente del III Congreso Knotgroup “Los Orígenes”. Tras las experiencias de 2019 en Málaga y “El Renacimiento” en 2021, Knotgroup organiza su III Congreso con las mismas ganas e ilusión de la primera edición con un objetivo claro: erigirse como baluarte de una Odontología basada en la Ciencia y como parte indisociable de la Medicina.

El Dr. Pedro Guitián.
oral medicine inside 42 eldentistamoderno octubre 2022 UN GRUPO DE INNOVACIÓN “CON EL III CONGRESO KNOTGROUP BUSCAMOS DEVOLVER NUESTRA

La relación entre la Odontología y la Medici na ha sido, sin duda, reconocida a lo largo de la historia de la humanidad. Sin embargo, el conocimiento de la salud oral y sus implicacio nes en la salud integral de nuestros pacientes, todavía hoy no tiene el peso que debiera en el sector y en la propia sociedad.

Desde Knotgroup siempre hemos entendido que la Odontología forma parte indisociable de la Medi cina, no pudiendo entenderse la una sin la otra. Forman parte de un todo, de un mismo Origen. Sin duda, cada vez hay más estudios que relacio nan patologías de la cavidad oral con otras a nivel sistémico con repercusión en la salud general. La Odontología es prevención y es un canal direc to a través del cual ser capaces de diagnosticar y seguir la pista a posibles enfermedades incipientes que puedan afectar a todo el organismo. Y de esto es de lo que trata nuestro III Congreso. De los orí genes. De la relación de la Odontología con otras especialidades médicas y, por supuesto, nos aso

maremos a otras áreas esenciales de los orígenes de todas las Clínicas Knotgroup: Medicina, Tecnolo gía, Innovación y Equipos son nuestros principios, nuestra razón de ser.

Los Orígenes y Vigo

El III Congreso Knotgroup “Los Orígenes” tendrá lugar el 27 de mayo en Vigo. El evento se desa rrollará en la Sede Afundación. Este espectacular edificio de estilo eclecticista nos acogerá en tres salas: en la sala Auditorio hablaremos de la rela ción de distintas especialidades médicas con la Odontología; en la sala Conferencias se desarrolla rán tres bloques en los que hablaremos de Digita lización, Inteligencia Artificial y Gestión de Clínicas y Equipos; y también tendremos una sala en la que se desarrollarán distintos talleres impartidos por miembros de las Clínicas Knotgroup como los Dres. Didier Delmas, Marta Pasquín, Alejandro Otero, el Dr. Prof. Oriol Cantó y D. Ángel de Rivas, experto en gestión y entorno macroeconómico.

Dr. Pedro Guitián Pedro Guitián es Doctor en Medicina y Cirugía, Odontólogo y Especialista Universitario en Cirugía Oral por la Universidad de Santiago de Compostela. Ha completado su formación con la residencia en Cirugía General en el Reino Unido y cuenta con Másters en Implantología por la Universidad de Sevilla, Santiago de Compostela y por el Forum Implantológico Europeo. También cuenta con un Máster en Medicina Estética otorgado por la URJC. Además, es miembro de la Academia Americana de Periodoncia, de la Academia Americana de Implantología y de la Sociedad Europea de Oseointegración. Publica habitualmente artículos científicos en revistas médicas y suele participar con asiduidad como conferenciante en congresos y cursos internacionales y nacionales. Director del ZAGA center, centro de referencia de tratamientos con implantes cigomáticos de las provincias de Ourense y Pontevedra.

dentistamoderno

Pedro Guitián y Luis Mallo, Presidente del III Congreso Knotgroup “Los Orígenes” y Presidente de Knotogroup Dental Corporation, respectivamente.
43 el
octubre 2022

oral medicine inside

La apertura del Congreso correrá a cargo del Dr. Prof. D. Ángel Carracedo, de la Universidad de Santiago, que nos hablará de Genómica y enfermedades ge néticas; y en la clausura contaremos con el Dr. Prof. D. Pedro Diz que nos acercará a la importancia de la Odontología en pacientes médicamente compro metidos. Además, los asistentes disfrutarán de otros ponentes de prestigio internacional como el Dr. José Luis de la Hoz, el Dr. Rafael Areses, el Dr. Carlos Apa ricio, el Dr. Juan Carlos Pérez Varela, el Prof. Eugenio Velasco, la Dra. María Ferreiro, el Dr. Alfonso López Alba, el Dr. Carlos Muñiz o Luis Mallo, entre otros. Hasta ahora la respuesta del sector está siendo es pléndida y esperamos que este Congreso se con vierta en una cita imprescindible para la industria, medios y colegas y podamos compartir juntos este día que será único.

No somos una clínica dental. Somos un Centro Médico Odontológico

En los últimos años, la Odontología ha experimen tado numerosos cambios y ha visto abrirse nuevas puertas gracias a los avances de la tecnología apli cada al sector.

En Clínica Guitián sabemos que es imprescindible estar al día de todos esos avances y aprovechar las nuevas oportunidades que suponen, para ofrecer a nuestros pacientes los mejores, más novedosos y más efectivos tratamientos, que les garanticen unos resultados inmejorables y les hagan salir de

Si gracias a nuestra labor en el III Congreso Knotgroup ‘Los Orígenes’, podemos conseguir que se protocolice a gran escala la derivación de pacientes de áreas de Ginecología, Endocrinología, Hematología… a la especialidad de Odontología, habrá merecido la pena ”
El equipo Guitián en el I Congreso Knotgroup.
44 eldentistamoderno octubre 2022 UN GRUPO DE INNOVACIÓN

nuestro Centro Odontológico con su mejor sonrisa. Por eso luchamos y nos preparamos día tras día, no solo para ser los mejores en nuestro campo, sino para estar a la última de todas las novedades relaciona das con el sector odontológico, realizando continuas formaciones y adquiriendo las más avanzadas tecno logías para poder ofrecer siempre lo mejor. Además, en nuestro Centro, como no podía ser de otra manera, tenemos instaurados protocolos previos a nuestros tratamientos que nos ponen en la pista de posibles patologías que atañen a otras especialidades médicas. Analíticas, seguimiento y control arterial... ha cen que nuestro Centro sea algo más que una clínica dental. Somos un Centro Médico Odontológico. Como profesional que lleva a cabo esta práctica puedo confirmar que no hay paciente más fideli

zado que aquel al que has ayudado a diagnosticar una diabetes, hipertensión... Y no hay mayor satis facción para nosotros, como profesionales sanita rios, que precisamente ayudar a nuestros pacientes a detectar estas dolencias.

En este sentido, esta práctica tan habitual en otros países, todavía se encuentra en construcción en Es paña y es precisamente en este punto donde des de Knotgroup queremos poner nuestro granito de arena con el III Congreso Knotgroup “Los Orígenes”, que tengo el honor de presidir.

Si gracias a nuestra labor en este Congreso pode mos conseguir que se protocolice a gran escala la derivación de pacientes de áreas de Ginecología, Endocrinología, Hematología... a la especialidad de Odontología, habrá merecido la pena.

Arriba. Reuniones de aná lisis de casos clínicos para prestar la atención más completa y personalizada a los pacientes.

Izquierda. Quirófano en Centro Médico Odontológico Guitián en Vigo.

Derecha. Sala de reanima ción en Centro Médico Odon tológico Guitián en Vigo.

45 eldentistamoderno octubre 2022

oral medicine inside

Teleortodoncia: todo son ventajas.

Para los ortodoncistas y los médicos de cabecera, el uso de la teleodontología ya no es una quimera, sino una realidad que la crisis del COVID-19 ha sacado brutalmente a la luz.

Una praxis

comprometida con los pacientes

Las normas sanitarias de distanciamiento social, que siguen siendo necesariamente drásticas, por un lado, y el deseo de ofrecer a los pacientes un tratamiento digitalizado, por otro, empujan a los ortodoncistas a recurrir a soluciones de teleodontología para satisfacer las necesidades de sus pacientes.

En la búsqueda de respuestas adecuadas para satisfacer a los pacientes con una hoja de ruta clara, la de buscar la solución que mejore significativamente el proceso de atención al paciente, los profesionales no se equivocan: ahora, más que nunca, es necesario tener en cuenta las expectativas de los pacientes, que sueñan tanto con

una sonrisa perfecta como con una experiencia menos restrictiva y más cómoda en su tratamiento.

Siempre que no se cuestione la confianza depositada en el ortodoncista, la oferta en el proceso de atención al paciente puede influir mucho en la elección de la clínica dónde tratarse, para quien un «buen tratamiento» es una mezcla bien equilibrada entre un proceso de atención eficiente y una experiencia agradable.

DentalMonitoring, la empresa francesa activa desde hace más de siete años en el mundo del cuidado dental y de la ortodoncia a distancia, ofrece soluciones online innovadoras para poder monitorizar a los pacientes, integrando las tecnologías más eficientes en las clínicas dentales.

Una plataforma «todo en uno», impulsada por Inteligencia Artificial

La oferta de DentalMonitoring, que combina Inteligencia Artificial, la DM App específica y el panel de control para la clínica, ha sido diseñada para ayudar a los profesionales a crear nuevos canales de comunicación con sus pacientes, simplemente a través de un smartphone o un ordenador.

«Todas estas soluciones combinadas constituyen la Clínica Virtual: una extensión de la clínica, online, au tomatizada y práctica, capaz de satisfacer las necesidades actuales de los pacientes.
46 eldentistamoderno octubre 2022
Publirreportaje

Seguras y eficaces, estas soluciones ofrecen múltiples ventajas: desde la evaluación inicial de la salud bucodental del paciente a distancia con simulaciones ultrarrealistas de su sonrisa durante y después del tratamiento de ortodoncia (SmileMate), hasta el monitorizar a corto o largo plazo todo tipo de tratamientos de ortodoncia a distancia (DentalMonitoring).

Con esta nueva Clínica Virtual, los profesionales pueden :

Ofrecer una primera consulta a distancia, flexible y que responda a las expectativas de los pacientes.

gestión del proceso de atención al paciente y la administración del tiempo del propio equipo clínico.

Todos estos aspectos de la Clínica Virtual se apoyan en la inteligencia artificial de Dental Monitoring, entrenada sobre el mayor banco de imágenes de la industria odontológica para reconocer 96 situaciones clínicas y automatizar el envío de notificaciones tanto para el equipo clínico como para el paciente, para un seguimiento óptimo y cómodo del tratamiento.

intercambio con los profesionales de la odontología de todo el mundo, e ilustra perfectamente la misión que Dental Monitoring se ha propuesto: ofrecer soluciones inteligentes a los profesionales de la odontología y acompañarles a diario para redefinir el proceso en el cuidado de los pacientes.

Si bien la teleortodoncia puede parecer un gran paso adelante, no deja de ser una parte integral del panorama médico actual.

Evaluar el nivel de urgencia de cada caso y, si es necesario, iniciar las citas en la oficina o bien las videoconsultas.

Dar confianza plena a los pacientes ofreciendo una comunicación continua y directa con la clínica. De este modo, se optimiza y mejora la implicación en el tratamiento, la

La Clínica Virtual es el resultado de esta apuesta por la innovación constante y de varios años de

Desde su creación, DentalMonitoring siempre se ha comprometido plenamente con todos los profesionales de la salud bucodental para aportarles soluciones innovadoras, útiles, precisas y seguras con una prioridad: ayudarles no solo a atender, si no más bien a cuidar de sus pacientes.

Toda la información sobre las soluciones disponibles solo para profesionales, se pueden encontrar consultando en: https://dental-monitoring.com

DentalMonitoring®, Smilemate® y Vision son productos diseñados y fabricados por Dental Monitoring® SAS, bajo la marca DentalMind® para profesionales de la salud (PS). También son utilizados por los pacientes bajo la supervisión médica de los profesionales de la salud (PS). Den talMonitoring® y SmileMate® están diseñados para ayudar a los PS a observar situaciones intraorales (y tratamientos de ortodoncia para Den talMonitoring®) a distancia. Consulte a su PS y/o las instrucciones de uso antes de utilizarlos. DentalMonitoring® y SmileMate® son productos sanitarios, registrados como tales y con marcado CE. Las simulaciones de Vision son generadas por inteligencia artificial, no son vinculantes y pueden diferir de los resultados finales del tratamiento del paciente. Vision está registrada en DentalMind®. La disponibilidad, las reclamaciones y la situación del producto pueden variar de un país a otro en función de la normativa local. Contactar con el representante local para obtener más información.

47 eldentistamoderno octubre 2022

La innovación al servicio de la calidad de la atención al paciente
AD_VIP_PA_008_02_pr_H_ES_es

pensando en el futuro

Una revolución en odontologíaCÓMO LA INTELIGENCIA

ARTIFICIAL ESTÁ CAMBIANDO

EL PANORAMA DENTAL

Nos encontramos ante un gran renacimiento de la sanidad, con importantes avances que llegan rápidamente, uno tras otro. La investigación en el ámbito sanitario está aportando avances decisivos en el diagnóstico, materiales, genética, terapias, dispositivos y tecnología. La odontología ha estado a la vanguardia de muchas innovaciones, incluida la Inteligencia Artificial (IA). En este artículo, veremos qué es la IA y algunas de las formas en que se está utilizando para ofrecer avances significativos en la atención dental.

¿Qué es la Inteligencia Artificial?

La Inteligencia Artificial (IA) es informática que va más allá de la automatización, la com putación y el almacenamiento. Permite a los sistemas digitales «pensar» y hacer cosas inte ligentes semejantes al pensamiento humano. Lo sorprendente es que la IA no es un con cepto nuevo, ya que tiene sus raíces en 1956, cuando un grupo de aspirantes a informáticos

[1]

la definió en una conferencia en el Dartmouth College 1 . En la actualidad, la IA está a nues tro alrededor, formando parte cada vez más de nuestra vida cotidiana. Algunos ejemplos son los altavoces, que entienden el lenguaje natu ral, los aparatos domésticos como frigoríficos, lavadoras, cerraduras de puertas y sistemas de climatización, y los coches como sistemas de conducción autónoma.

«La Inteligencia Artificial (IA) se creó en Dartmouth» Celebre nuestro 250 aniversario, 14 de octubre de 2018, https://250.dartmouth.edu/highlights/ artificial-intelligence-ai-coined-dartmouth.

Henry Schein, Inc. Por Bruce Lieberthal, Vice President y Chief Innovation Officer de Henry Schein, Inc.
48 eldentistamoderno octubre 2022 OPINIÓN

[2]

siguiendo la evolución de la Odontología

Historia

Tal vez se pregunte, al igual que yo, por qué, si la IA no es un concepto nuevo, parece que solo reciente mente está cobrando protagonismo en nuestras vidas. Mientras que las tecnologías son algo complejas, la respuesta a esta pregunta es bastante sencilla: hace muy poco que hemos alcanzado la sofisticación en el hardware, el software y las comunicaciones necesarias para impulsar la IA. La IA requiere una gran potencia de cálculo, almacenamiento, velocidad de comunicación (es decir, banda ancha), miniaturización y capacidad de almacenamiento y recuperación de datos para tener lugar. Los ordenadores actuales, incluso los smartpho nes que llevamos en el bolsillo, son millones de veces más potentes que el primitivo ordenador que en 1969 llevó al Apolo 11 a la Luna, aterrizó allí y trajo de vuelta a la Tierra a tres astronautas. Además, las comunica ciones por internet o en la nube han experimentado un increíble aumento de la velocidad y una reducción de la latencia: son más de 33,33 millones de veces más rápidas que hace unas décadas2. Del mismo modo, los chips de ordenador, que tenían un par de miles de

Fase Descripción

Inteligencia

Artificial Estrecha (ANI)

• Capacidad para realizar tareas programadas.

• En el punto en el que nos encontramos hoy en día.

circuitos en los años 70, tienen ahora miles de mi llones. Los importantes avances del software permi ten ahora el aprendizaje automático y profundo, es decir, la capacidad de los programas informáticos de aprender y reescribir el propio código para llegar más rápidamente a la respuesta correcta. Además, los ma crodatos, la capacidad de almacenar enormes volú menes de datos y recuperarlos rápidamente, también han sido fundamentales para conseguir la potencia necesaria para ofrecer IA.

Fases de la IA

Las mejoras en informática y en las comunicaciones necesarias para la IA seguirán produciéndose a gran velocidad. A medida que evolucionen tecnologías como la computación cuántica, el diseño avanzado de chips y las mejoras en los algoritmos de software, vamos a experimentar avances que harán que la IA actual parezca un juego de niños. Los informáticos especializados en IA han definido tres grandes fases (véase a continuación) de la evolución de la IA; ac tualmente nos encontramos en la fase 1.

Estamos en la primera y más temprana fase de la IA, en la que los sistemas técnicos pueden mostrar una inteligencia limitada en un contexto estrecho, es decir, un sistema de IA concreto puede hacer una sola cosa pero no ser inteligente en general.

Inteligencia

Artificial General (AGI)

• Sistemas que se entrenan, aprenden, comprenden y realizan tareas como un ser humano.

Esta es la siguiente etapa y se caracteriza por plataformas informáticas generalmente inteligentes, capaces de ejecutar muchos comportamientos programados y aprendidos. La frontera entre la AGI y la ASI es la llamada Singularidad.

Superinteligencia

Artificial (ASI)

• Razonamiento y proce samiento más allá de las capacidades humanas.

• Cuando se alcanza y se su pera la Singularidad (véase a continuación).

Cuando la informática va más allá de la Singularidad y las capacidades de los sistemas de IA superan la mente humana. Esto es, a menudo, en lo que se centra la industria cinematográfica: mostrar ordenadores malévolos que compiten con los humanos3

Tabla 1. Fases de la IA.

Historia de los módems telefónicos - Whirlpool.net.au. https://whirlpool.net.au/wiki/d_u_m_h. Looper, Christian de. «¿Cómo de rápido es el 5G? Expli cación de la velocidad 5G». Tendencias digitales, Digital Trends, 22 de abril de 2022, https://www.digitaltrends.com/mobile/how-fast-is-5g/.

[3] El ejemplo clásico es la película de 1968 2001: Una odisea del espacio, donde el HAL 9000, el ordenador de a bordo de una nave espacial, detecta que los humanos quieren desactivarlo y actúa contra ellos.

Bruce Lieberthal Chief Innovation Officer de Henry Schein, Inc. En este puesto, está en el nexo de la evaluación de cientos de soluciones y tecnologías de vanguardia, asesorando a las unidades de negocio médicas y dentales de Henry Schein sobre importantes tendencias emergentes, y ayudando a conectar las capacidades globales de ventas, marketing y distribución de la empresa con nuevos e importantes productos que ayudan a los clientes a realizar mejores prácticas y ofrecer una excelente atención a los pacientes. Anteriormente, desde 2009 hasta 2015, ha sido Vice President, Emerging Technologies de Henry Schein, Inc. Bruce ha sido responsable de la supervisión de Henry Schein Medical Systems (MicroMD) en Estados Unidos entre 2011 y 2017, y ha dirigido la actividad DDX de Henry Schein One. También ha dirigido el equipo de ConnectDental, centrado en el lanzamiento del negocio de odontología digital de Henry Schein durante dos años, y ha colaborado estrechamente con el Grupo de Desarrollo Empresarial Corporativo asesorando sobre oportunidades tecnológicas. Bruce es líder en tecnología dental desde hace casi 35 años. Se graduó en la Facultad de Odontología de la Universidad Estatal de Nueva York en Búfalo en 1983, ejerció la odontología durante 14 años entre 1984 y 1997, y aporta muchos conocimientos al equipo de Henry Schein.

49 eldentistamoderno octubre 2022

pensando en el futuro

La Singularidad es ese momento conceptual, en algún momento de nuestro futuro, en el que la inteligencia y el razonamiento de los sistemas in formáticos serán exactamente iguales a los de la mente humana. El momento en el que lo consegui remos abre un debate entre los expertos: algunos dicen que llegará muy pronto, entre 2045 y 2060, mientras que otros afirman que faltan siglos para lograrlo. La llegada de los ordenadores cuánticos, que utilizan la física cuántica para permitir que los ordenadores resuelvan ecuaciones complejas miles de millones de veces más rápido que los superor denadores más rápidos que hay hoy en día, nos ayudará a conseguirlo. Los ordenadores cuánticos, que antes se consideraban algo imposible o leja

no, se están desarrollando hoy en día. El inmenso poder computacional alimentará la IA para llevarla a la Inteligencia General Artificial, o incluso a la Singularidad.

La IA en la odontología y la sanidad

La IA ha llegado a la sanidad en un momento cru cial y crítico. Todos sabemos que necesitamos solu ciones a los problemas reales asociados a la esca sez de profesionales sanitarios, el envejecimiento de la población, la necesidad de mejorar el acceso, especialmente a las poblaciones que se encuen tran alejadas, reducir los costes y mejorar los resul tados. El alarmante aumento de la prevalencia de las enfermedades crónicas reclama la adopción de soluciones más adecuadas. Aunque la IA no es una panacea, es un ingrediente vital.

Definiciones principales

Antes de analizar las soluciones específicas, hay que entender las definiciones principales que son importantes para el uso de la IA en la sanidad:

1. Sistema de soporte a la toma de decisiones clí nicas (CDS): software basado en IA que ayuda a los médicos a realizar diagnósticos y aplicar tratamien tos adecuados con precisión y rapidez.

2. Visión artificial: un subconjunto de CDS que com prende software con IA que «lee», analiza e inter preta imágenes, como las radiografías.

3. Internet de las cosas (IoT): este término se refiere a los dispositivos, algunos de ellos de uso cotidia no, que se convierten en «inteligentes» al integrar informática e internet en su interior. Por ejemplo, muchos de nosotros tenemos termostatos en casa. Hoy en día, estos sistemas han incorporado inteli gencia y conectividad a internet en los termosta tos inteligentes. Nuestros hogares están repletos

Figura 2. Singularidad (Fuente: De la innovación a la revolución). Figura 3. Ordenador cuántico (IBM).
50 eldentistamoderno octubre 2022 OPINIÓN

siguiendo la evolución de la Odontología

de estos dispositivos: altavoces inteligentes, ce rraduras de puertas, luces, sistemas de seguridad, abridores de puertas de garaje, etc. A continuación, analizaremos cómo el IoT está adquiriendo impor tancia en la sanidad.

4. Procesamiento de Lenguaje Natural (PLN): se trata de la capacidad de los ordenadores para en tender y responder a textos conversacionales o a la voz. Cada vez que se interactúa con un sistema de chat inteligente en internet, por ejemplo, un in tercambio de textos de atención al cliente en el que se «habla» con un ordenador como si fuera una persona, o se pregunta a Google o Siri por el tiempo que hará mañana, se está interactuando con sistemas de PLN.

La IA en odontología

Ahora que tenemos algunos conocimientos sobre lo que es la IA, vamos a centrar nuestra atención en algunas de las muchas formas en que se está implementando para resolver los desafíos en la odontología y la atención dental.

Internet de las cosas (IoT): Como hemos definido este término anteriormente, ahora podemos ver algunos ejemplos del mundo real:  Cepillos de dientes inteligentes: estos innova dores dispositivos hacen que nuestros cepillos de dientes sean «inteligentes» al incorporar sensores y conectividad Bluetooth en cepillos de dientes eléctricos y manuales. En la actualidad, estos sen sores registran cuánto tiempo hay que cepillarse, con qué frecuencia, si la inclinación es adecua da, si se salta algún diente y con qué frecuencia se cambia el cabezal del cepillo. Estos datos se envían a una aplicación de smartphone que los

analiza y presenta. Lo realmente emocionante es que los datos, con la aprobación de la persona, se pueden transmitir al software de la clínica den tal y correlacionarse de forma inteligente con el registro dental electrónico. Esto proporciona un contexto valioso a los datos, correlacionando los hábitos y el cumplimiento de la higiene bucal con los resultados, y permite al profesional odonto lógico y al paciente analizarlos juntos y hacer cambios para mejorar la salud bucodental. En el futuro, se incorporarán otros sensores que anali zarán la saliva en busca de biomarcadores como indicadores tempranos de enfermedades denta les y sistémicas.

Sensores dentosoportados: estos dispositivos, al gunos de los cuales parecen bandas de ortodoncia, se colocan de forma semipermanente en la boca y analizan continuamente el entorno bucal en busca de afecciones y biomarcadores. Los datos se en vían de forma inalámbrica a servidores alojados en la nube para su análisis y elaboración de informes para el paciente y los profesionales sanitarios.

Inventario digital: mediante la visión artificial, contenedores con sensores basados en el peso y el software, estos dispositivos detectan el uso de los suministros y pueden realizar automáticamente pedidos para reponerlos. Además, el software ana lítico basado en IA estudia los patrones de uso para predecir cuándo hay que volver a pedir el producto.

 Sistemas de monitorización de equipos: al colocar sensores sobre, dentro o cerca del equipo dental, por ejemplo, compresores, sistemas de vacío, etc., y al hacer que esos sensores comuniquen los datos a los servidores alojados en la nube y a los expertos de mantenimiento, cumplimos la promesa de inter ceptar los fallos críticos de los equipos al detectar cuándo empiezan a deteriorarse. Próximamente, los sistemas de aprendizaje automático predecirán la vida útil de los dispositivos y las piezas, y darán lugar a una sustitución profiláctica para prolongar la vida de los equipos.

Diagnóstico por imágenes Esto está empezando a tomar presencia en la odontología de manera importante y es muy emocionante. El software de visión artificial con IA puede «leer» radiografías y otras imágenes den tales, detectar posibles patologías y hacer reco mendaciones sobre el tratamiento. Se trata de un ejemplo perfecto de apoyo a la toma de decisio

Henry Schein, Inc.
51 eldentistamoderno octubre 2022

pensando en el futuro

nes clínicas: la utilización de sistemas de IA para ayudar al profesional odontológico a diagnosticar la patología y las opciones de tratamiento y a to mar mejores y más rápidas decisiones. El objetivo es detectar los problemas de forma más fiable y temprana. Hoy en día, esta tecnología se utiliza para el diagnóstico y el trámite de seguros médi cos. Pronto se utilizará para ayudar a los profesio nales odontológicos a planificar completamente los tratamientos de prótesis complejas, implantes, ortodoncia y otros tipos de casos.

RA y RV

La realidad aumentada (RA) o mixta permite pro yectar imágenes y anotaciones sobre lo que ve mos. Por ejemplo, digamos que se están pegando brackets de ortodoncia. El uso de gafas de realidad aumentada puede proyectar la imagen de dónde colocar exactamente el bracket sobre la imagen del diente del paciente. Además, pronto nos pon dremos estas gafas para que los fabricantes de equipos puedan ver lo que nosotros vemos, por ejemplo, un dispositivo que falla. El equipo de atención al cliente puede guiarle a distancia en las pruebas o incluso en reparaciones sencillas dibu jando imágenes en las gafas.

Robótica

Los robots quirúrgicos con IA ya se utilizan en odontología para la cirugía de implantes. En un futuro, los robots cortarán coronas, prepararán ca vidades, colocarán brackets de ortodoncia, realiza rán profilaxis dental y mucho más.

Simulación

Los estudiantes de odontología podrán aprender pronto los procedimientos dentales del mismo modo que los pilotos aprenden a pilotar un avión. Estos simuladores permiten aprender haciendo un procedimiento una y otra vez, con un software que guía y enseña al estudiante en tiempo real y comunica los resultados al profesorado. La simula ción también permite a los profesionales compren der cómo se llevan a cabo las distintas opciones de tratamiento. Por último, permite a los pacientes realizar una simulación utilizando imágenes de sus propios dientes, mostrándoles cómo serán y que darán después de un procedimiento como los ali neadores, el blanqueamiento dental, los implantes, los empastes de coronas, etc.

Fabricación bajo demanda

El software con IA puede enviar instrucciones deta lladas a las tecnologías aditivas (impresoras 3D) y sustractivas (fresadoras) para diseñar y crear próte sis dentales, alineadores, guías quirúrgicas, etc.

Diagnóstico temprano y biomarcadores

La IA promete revolucionar realmente la sanidad al ser capaz de buscar una «aguja en un pajar» bio lógico, realizando biopsias líquidas. Estos sistemas avanzados pueden detectar biomarcadores, proteí nas y otros elementos presentes en nuestra sangre, orina o saliva, para indicar la presencia de una en fermedad en una fase muy temprana, a veces an tes de que aparezca una lesión. Esto permite a los profesionales odontológicos y sanitarios reducir la mortalidad y la morbilidad. Imagine poder detectar fácilmente, y en pocos minutos, la diabetes, el cán cer y otras enfermedades graves en los pacientes dentales. Estas pruebas también pueden detectar nuestro riesgo genético de desarrollar enfermeda des dentales y sistémicas en el futuro.

Medicina de precisión y odontología

Posiblemente no haya un campo más fascinante que este dentro de la asistencia sanitaria y con el poten cial de ofrecer avances tan importantes. El ejemplo más inmediato de esta tecnología son las vacunas de ARNm que se están utilizando para controlar la pandemia de la COVID. Con esta tecnología, el ADN y el ARN pueden construirse mediante «procesado res de texto» especializados en IA y utilizarse des pués para diagnosticar o curar enfermedades. Estas tecnologías también pueden recomendar, crear rá pidamente y suministrar soluciones terapéuticas di rigidas a la genética específica de una persona o al perfil específico de un cáncer. El objetivo de estos tratamientos es revitalizar los dientes no vitales, de sarrollar nuevos materiales y tratamientos dentales que puedan evolucionar la asistencia, mejorar los resultados y reducir los costes.

Conclusión

Las anteriores son solo algunas de las innumera bles aplicaciones de la Inteligencia Artificial que se avecinan o que ya están aquí. La odontología y toda la atención sanitaria están experimentando una revolución en el diagnóstico eficaz de las en fermedades y en la prestación de una asistencia más predecible y con mejores resultados.

52 eldentistamoderno octubre 2022 OPINIÓN
siguiendo la evolución de la Odontología 53 eldentistamoderno octubre 2022 FUNDACIÓN DENTAL ESPAÑOLA TU SALUD ORAL NUESTRO COMPROMISO PROMOCIÓN DE LA SALUD FORMACIÓN CONTINUADA ACCIÓN SOLIDARIA www.fundaciondental.es

legal

LA HISTORIA CLÍNICA

A lo largo de este artículo, la abogada Almudena Rodríguez Ruiz, Directora del Departamento de Responsabilidad Civil Sanitaria de Delyser Abogados, nos explica la importancia de la historia clínica en el proceso asistencial y sus implicaciones legales con el fin de ofrecer a los profesionales sanitarios toda la información necesaria para cumplir con sus obligaciones profesionales y ganar en seguridad jurídica.

Contacto:

Delyser

Teléfono: 91 541 01 47

E-mail: delyser@delyser.com Web: www.delyser.com

gestión
54 eldentistamoderno octubre 2022 GESTIÓN, COMUNICACIÓN Y MARKETING
Abogados

siguiendo la evolución de la Odontología

La historia clínica es una parte fundamental dentro del proceso asistencial, donde se re fleja la actuación terapéutica al paciente, pero además, tiene una serie de implicaciones legales que refuerzan su importancia.

Sin embargo, sobre estas cuestiones legales, existe un desconocimiento general por parte de los pro fesionales de todas las ramas sanitarias, no solo en odontología. Y la historia clínica, a pesar de su manejo diario y de ser el documento médico-jurí dico más importante en la atención al paciente, no es una excepción.

Su importancia desde el punto de vista jurídico es múltiple, por un lado, el profesional sanitario tie ne una serie de obligaciones en torno a la histo ria clínica que debe cumplir a la hora de tratar al paciente, por lo tanto, debe conocer cuáles son estas obligaciones legales para no incurrir en res ponsabilidad. Además, la historia clínica es la mejor herramienta de prueba al alcance de los profesio nales sanitarios para defenderse de cualquier re clamación de un paciente, pues con ella van a po

der demostrar el trabajo efectivamente realizado y el cumplimiento de sus principales obligaciones.

En cualquier procedimiento de responsabilidad (las reclamaciones coloquialmente denominadas como “negligencias médicas”), la historia clínica será una de las pruebas esenciales en el procedimiento.

Todo ello conlleva la necesidad de que los sanita rios estén debidamente formados en estas cues tiones para que, por un lado, cumplan con sus obligaciones profesionales y, por otro, ganen en seguridad jurídica.

¿Qué es una historia clínica desde el punto de vis ta médico y legal?

A la hora de definir lo que es una historia clínica, de forma coloquial suele decirse que el proceso asistencial genera una serie de documentación médica, jurídica y administrativa y el conjunto de todos esos documentos, es precisamente la histo ria clínica.

En nuestro país está regulada principalmente en Ley 41/2002 de 14 de noviembre, básica reguladora

eldentistamoderno

Directora del Departamento de Responsabilidad Civil Sanitaria de Delyser Abogados.

Asesora jurídica de la Unión de Colegios Profesionales de Higienistas Dentales de España y del Colegio Profesional de Higienistas Dentales de la Comunidad de Madrid.

Miembro de la Asociación Española de Derecho Sanitario.

Docente en los Cursos Avanzados de Periodoncia para higienistas de la Fundación SEPA (Madrid 2018 a 2022), y en las 7 ediciones del Curso Superior de Clínica Dental organizado por el Colegio de Higienistas Dentales de Madrid (Madrid 2015 a 2022).

Ponente en diferentes congresos y ponencias en Derecho Sanitario y autora de artículos sobre Derecho sanitario en prensa especializada.

Almudena Rodríguez Ruiz Abogada. Licenciada en Derecho por la Universidad de Oviedo. Especialista en Derecho Sanitario. Artículo patrocinado
55
octubre 2022

gestión legal

de la autonomía del paciente y de derechos y obli gaciones en materia de información y documenta ción clínica, la cual define la historia clínica como “el conjunto de documentos que contienen los da tos, valoraciones e informaciones de cualquier ín dole sobre la situación y la evolución clínica de un paciente a lo largo del proceso asistencial”

Esta definición contiene información relevante so bre cómo hay que redactar una historia clínica y también lo que hay que incluir en ella, que en mu chas ocasiones no se hace correctamente en las clí nicas dentales, principalmente por desconocimiento:

(I) Es un conjunto de documentos.- En efecto, la historia clínica, en contra de la creencia de muchos profesionales, no se limita a las hojas de curso clí nico. Hay una serie de documentos, que a continua ción veremos que deben formar parte ella necesa riamente. Así, por ejemplo, las antiguas “fichas” que utilizaban en las clínicas, no son suficientes como

historia clínica, el resto de documentos que vamos a ver también deben incorporarse a la misma.

(II) Hay que incluir datos e informaciones, pero también valoraciones.- En muchas ocasiones las historias clínicas se limitan reflejar el nombre de las actuaciones terapéuticas realizadas sin hacer valoraciones del paciente o del proceso asistencial como exige la Ley.

(III) Debe contener la evolución clínica del pacien te.- Al igual que en el caso anterior, no basta con reflejar los actos concretos realizados al paciente, sino que tiene que detallarse la evolución del pro ceso asistencial.

Su contenido mínimo también está recogido en la Ley, si bien algunos supuestos, no se aplican en las clínicas dentales pues solo son necesarios en caso de hospitalización:

a) La documentación relativa a la hoja clínico-es tadística.

b) La autorización de ingreso.

c) El informe de urgencia.

d) La anamnesis y la exploración física.

e) La evolución.

f) Las órdenes médicas.

g) La hoja de interconsulta.

h) Los informes de exploraciones complementarias.

i) El consentimiento informado.

j) El informe de anestesia.

k) El informe de quirófano o de registro del parto.

l) El informe de anatomía patológica.

m) La evolución y planificación de cuidados de enfermería.

Aunque la cumplimentación de la historia clínica corresponde al profesional sanitario, el deber de custodia le corresponde a la clínica dental, la cual deberá custodiar la historia clínica al menos 5 años desde la finalización del proceso asistencial
56 eldentistamoderno octubre 2022 GESTIÓN, COMUNICACIÓN Y MARKETING

siguiendo la evolución de la Odontología

n) La aplicación terapéutica de enfermería.

ñ) El gráfico de constantes.

o) El informe clínico de alta. Además en una clínica dental, cualquier otra docu mentación con información asistencial del paciente deberá ser incluida en la historia clínica. Es el caso del escáner digital, fotografías, planes de tratamien to, órdenes de trabajo a los protésicos, moldes, etc.

Recomendaciones legales

Una parte muy importante de la historia clínica son obviamente las hojas de curso clínico. En su redac ción es importante seguir las siguientes recomen daciones legales:

Debe ser lo más completa y detallada posible, especialmente en los tratamientos quirúrgicos que, estadísticamente, son los que más reclamaciones generan por parte de los pacientes en las clínicas dentales.

Se debe incluir siempre la demanda asistencial y el estado previo del paciente, para descartar por un lado errores de diagnóstico y, por otro, para que no puedan ser atribuidas responsabilidades de tra bajos previos realizados por otro profesional.

Debe ser actual y veraz por imperativo legal, de biéndose actualizar periódicamente el estado de salud del paciente y no solo los tratamientos rea lizados.

Hay que identificar a todos los profesionales sa nitarios que intervienen en ella, siendo responsabi lidad de cada uno de ellos su cumplimentación, ya sean odontólogos, cirujanos o higienistas dentales.

Si bien en los últimos años en las clínicas denta les las historias clínicas se realizan a través de apli caciones informáticas, tanto este formato digital como el tradicional del papel son perfectamente válidos, pudiendo coexistir ambos formatos.

Accesos a la historia clínica

A la hora de manejar historias clínicas es especial mente importante respetar el secreto profesional y la confidencialidad de los datos que en ella se incluyen, ya que son datos especialmente protegidos, y acce der indebidamente o divulgar su contenido puede suponer un delito, penado en algunos supuestos con pena de prisión, además de las sanciones administra tivas correspondientes por infringir la normativa de protección de datos (artículo 199 del Código Penal).

eldentistamoderno

57
octubre 2022

gestión legal

Son muchas las reclamaciones que se presentan por incumplir estas obligaciones, siendo un tema especialmente sensible para los profesionales por las consecuencias que para ellos pueden tener, por lo que deberán extremar las precauciones en este punto. Así por ejemplo a la hora de remitir al pa ciente el contenido de una historia clínica por co rreo electrónico, la recomendación es que siempre se envíe encriptada o con una clave de acceso.

Precisamente el acceso a la historia clínica es un tema que genera muchas dudas a los profesionales sanitarios. El paciente por supuesto puede acceder a su historia clínica y solicitar copia de la misma, pero hay terceras personas que también pueden acceder a la misma. Así, por ejemplo:

(I) Personas vinculadas al paciente en caso de fallecimiento.- Previa acreditación del parentes co podrán acceder a su contenido salvo que el fallecido lo hubiera prohibido expresamente y así se acredite.

(II) Paciente declarado incapaz judicialmente.- Son sus representantes los que tienen acceso a la HC en idénticas condiciones al paciente.

(III) Menores de edad.- Según la Agencia Española de Protección de Datos a partir de los 14 años los menores pueden acceder por si mismos a la historia clínica. Sin embargo, los titulares de la patria potes tad o sus tutores (generalmente los padres) podrán también acceder a los datos del menor de edad mientras esa situación persista.

A partir de los 18 años, serán los pacientes los úni cos que puedan acceder a sus historias clínicas.

La Ley también prevé otros accesos y usos de la histo ria clínica como fines de inspección, fines judiciales o administrativos y de gestión. Lógicamente para la ges tión de la clínica dental el personal administrativo tie ne que acceder a la historia de los pacientes, por ejem plo, para gestionar las citas o para facturar los trabajos realizados, pero se deberán de implementar diferentes grados de acceso a la historia según las funciones que desempeñe cada trabajador de la clínica.

Aunque la cumplimentación de la historia clínica co rresponde al profesional sanitario, el deber de custo dia le corresponde a la clínica dental, la cual deberá custodiar la historia clínica al menos 5 años desde la finalización del proceso asistencial, si bien algunas Co munidades Autónomas tienen regulación propia que aumenta los plazos de conservación de determinados documentos (por ejemplo, en el caso de Galicia, Can tabria o Cataluña).

Entrega de la historia clínica

En cuanto a la entrega de las historias clínicas, por normativa de protección de datos, el plazo de en trega es de un mes desde la solicitud, siendo reco mendable seguir los siguientes pasos:

El primer trabajo será recopilar toda la información clínica y administrativa del paciente la cual puede estar archivada en diferentes formatos (papel, orde nador, pruebas radiográficas, fotografías, etc.).

A continuación se debe ordenar la documenta ción y hacer un índice de lo que se va a entregar.

Finalmente, cuando el paciente acuda a recoger la, deberá firmar un recibí que acredite la recepción y la documentación entregada.

En caso de ser retirada por un tercero se deberá acreditar la representación y la identidad del pa ciente y del representante.

En este sentido hay que recordar que las sanciones de la Agencia Española de Protección de Datos por no entregar las historias clínicas pueden ser muy elevadas, por lo que siempre deberán ser entrega das en el plazo del mes.

Finalmente concluir que por las diferentes implica ciones que una historia clínica puede tener, la mejor recomendación que se puede realizar desde el pun to de vista jurídico al profesional sanitario es que mantenga una historia clínica lo más completa y actualizada posible, ya que con ello se compensará sobradamente la inversión de tiempo a realizar.

58 eldentistamoderno octubre 2022 GESTIÓN, COMUNICACIÓN Y MARKETING

EL CONSEJO GENERAL DE DENTISTAS PRESENTA EL “ATLAS DE LA SALUD BUCODENTAL EN ESPAÑA. UNA LLAMADA A LA ACCIÓN. 2022”

El Consejo General de Dentistas presentó el pasado 16 de septiembre el “Atlas de la Salud Bucodental en España.

Una llamada a la acción. 2022”, en el que se exponen datos epidemiológicos, hábitos de los ciudadanos, factores de riesgo y aspectos de la profesión dental en nuestro país. Asi mismo, se incluye un apartado con propuestas para mejorar la salud bucodental de la población.

El presidente del Consejo General de Dentistas, el Dr. Óscar Castro Rei no, ha detallado algunas de las cuestiones más relevantes del Atlas. Así ha informado de que en la UE, “el coste de atención bucodental (90.000 millones de euros) es superado solamente por el de la patolo gía cardiovascular y el de la diabetes”. En 2019, el gasto dental por ciu dadano en España fue de 90€, de los cuales el 98% se corresponde con gasto directo del bolsillo. En otros países, como Francia y Alemania, es del 22% y del 25%, respectivamente.

En cuanto a la carga de las patologías bucodentales, el Atlas refleja que un tercio de los menores de 6 años presenta caries. Es decir, unos 850.000 niños acumulan cerca de 4 millones de dientes temporales con caries. Además, solo 1 de cada 4 dientes primarios con lesión de caries ha recibido el tratamiento oportuno. En el caso de los adultos jóvenes (de 30 a 50 años), el 94% tiene caries. Las personas en esta franja de edad tienen, en promedio, 7 dientes cariados. De ellos, el 40% se encuentra sin tratar.

Por otro lado, la enfermedad periodontal afecta a un tercio de los adul tos mayores (65-80 años). De ellos, cerca del 12% presenta la forma seve ra de periodontitis. El edentulismo también tiene una alta prevalencia en los adultos mayores, con una media de 11 dientes ausentes. Solo el 45% tiene dentición funcional (21 dientes o más funcionales) y el 7.3% es edéntulo total. “La buena noticia es que la evolución es positiva, pues entre el año 2000 y el 2020 se ha reducido el número de edéntulos to tales del 23.4% al 7.3%”, ha expresado el Dr. Castro. Pero ha matizado que existe un fuerte gradiente social: “Los menores de nivel social bajo tienen 3 veces más caries que los de nivel alto, y el edentulismo total afecta 3 veces más a los adultos mayores de nivel social bajo”. Cada año se diagnostican unos 8.000 nuevos casos de cáncer oral, el 75% de manera tardía. Afecta más a los hombres a partir de los 55 años.

Factores de riesgo

El Atlas de la Salud Bucodental en España también incide en los facto res de riesgo de varias patologías bucodentales. Por ejemplo, el azúcar consumido en España supera casi 3 veces el recomendado por la Or ganización Mundial de la Salud (OMS). El tabaco es la causa de la muerte de unas 60.000 personas al año en España. De hecho, cerca del 90% de los cánceres orales guardan re

lación con el hábito tabáquico. Del mismo modo, aproximadamente el 23% de los hombres y el 8% de las mujeres beben alcohol a diario en España.

Los dentistas en España Entre 1994 y 2022, el crecimiento en el número de dentistas ha sido del 205%. Actualmente, hay más de 40.000 dentistas en nuestro país (uno por cada 1.171 habitantes) y cada año se gradúan 1.750 nuevos profesionales. En los últimos años, la profesión se ha feminizado y el 60% son mujeres.

La densidad de dentistas por 100.000 habitantes es de 85 (igual que en Alemania), pero estas cifras no son comparables si previamente no se ajustan al nivel de demanda asistencial bucodental. España es uno de los países de la UE donde menos se acude periódicamente al dentista (entre el 47-50% lo hace anualmente), lo que sitúa a nuestro país en 35 puntos por debajo de Alemania, por ejemplo. La densidad ajustada de dentistas/población en España es el doble de la de los países de nues tro entorno, solo superada por Estonia, Bulgaria, Portugal y Grecia.

“Para poder aspirar a una salud bucodental óptima en España se re quiere, sin demora, la adopción de una serie de transformaciones im portantes de índole sanitaria, política, legislativa y organizativa”, ha explicado el Dr. Castro.

actualidad NOTICIAS 60 eldentistamoderno octubre 2022

NOTIFICAN LOS PRIMEROS CASOS DE PACIENTES ESPAÑOLES AFECTADOS POR TRATAMIENTOS DENTALES REALIZADOS EN TURQUÍA

Tras la nota emitida por el Consejo General de Dentistas alertando sobre la tendencia Tur keyTeeth, una moda muy extendida en Reino Uni do, se han notificado los primeros casos en España de personas que han viajado a Turquía para hacer se tratamientos dentales y que han fracasado.

El Dr. Ferrán Llansana, dentista, ha comunicado que en su clínica ya ha atendido a seis pacientes españoles de entre 30 y 35 años que, tras volver de Turquía, intentan arreglar los daños que les han causado. Cuatro de ellos fueron de manera organizada desde Mallorca con un representante que les ponía en contacto con la clínica turca. Todos via jaron a Turquía para realizarse tratamientos estéticos con rehabilitación de carillas cerámicas por un precio más barato que en España, pero sin saber qué dentista los iba a atender.

“Actualmente, acabamos de tratar a un paciente porque se le cayó una co rona y presentaba una lesión apical aguda en dos dientes que requirieron una endodoncia, además de un ajuste oclusal complejo y de la rehabilita ción de las 20 restauraciones”, explica el Dr. Llansana.

“Como especialista en carillas, -declara el Dr. Llansana-, considero que el motivo principal del fracaso de estos tratamientos es la ausencia de una planificación exhaustiva. Una buena planificación permite obtener el me jor resultado estético con el menor tallado del diente”. De hecho, asegura que las preparaciones dentales que les hicieron a estos pacientes en Tur

quía eran más parecidas a las que se realizan para colocar coronas inclusivas (fundas) que para cari llas mínimamente invasivas.

Del mismo modo, añade que en todos los casos pro venientes de Turquía se constata la falta de trabajo con instrumentos de magnificación e incluso de microscopio, además de no invertir el tiempo nece sario en realizar un correcto mock up (simulación del tratamiento) que garantice el volumen final de la restauración. El tallado tan agresivo de los dien tes que les han practicado a estos pacientes en Turquía favorecerá a largo plazo una afectación periodontal. Los daños ocasionados por tratamientos de carillas mal ejecutados son irreversibles y condicionarán de por vida la supervivencia de los dientes.

El presidente del Consejo General de Dentistas, el Dr. Óscar Castro Reino, hace un llamamiento a todos los dentistas que trabajan en España “para que notifiquen a los Colegios Oficiales de Odontólogos todos los casos de pacientes que hayan recibido un tratamiento fallido en Turquía y que, a su vez, los Colegios trasladen esa información al Consejo para así poder tomar las medidas legales oportunas”. El Dr. Castro quiere insistir en que “no todas las clínicas dentales turcas realizan malos tratamientos. Como en todas partes, existen dentistas muy cualificados que trabajan con gran profesionalidad. El problema está en aquellas clínicas en las que la persona es tratada como un número más y no como un paciente único”.

EL CONSEJO GENERAL DE DENTISTAS ALERTA SOBRE EL AUMENTO DEL CONSUMO DE ÓXIDO NITROSO PARA USO RECREATIVO

La moda de consumir óxido nitro so ha aumentado en los últimos tiempos. Su consumo se está produ ciendo a través de los botes de nata montada, donde este gas está pre sente para conseguir el efecto de la espuma.

El óxido nitroso, más conocido como gas de la risa, es un gas incoloro que se utiliza para la sedación y el con trol del dolor. Algunos de sus efectos son la aparición de euforia, entumecimiento del cuerpo, sensación de sedación, mareos, risa incontrolada, descoordinación motora, visión borrosa, confusión y cansancio. Estos efectos van directamente asociados a la inhala ción del gas, por lo que desaparecen de manera inmediata en unos

3-5 minutos después de suspenderlo.

Estados Unidos e Inglaterra son los paí ses donde más aumento de casos se están produciendo; de hecho, EE. UU. ha prohibido la venta de botes de nata montada a menores de 21 años.

Los profesionales sanitarios están advir tiendo sobre esta nueva forma de consu mir este gas, que ha provocado, en estos países, un aumento de los casos de problemas neurológicos y daños en la médula espinal.

El óxido nitroso está exclusivamente restringido a prescripción facultativa, ya que puede conllevar riesgos graves, como la bajada brusca de la presión arterial, infarto de miocardio, hipoxia (falta de oxígeno) o alucinaciones visuales, entre otras.

61

eldentistamoderno

octubre 2022

LA PRESIDENTA DE LA FDI, LA DRA. ISHANE BEN YAHYA, NOMBRADA CONSEJERA DE HONOR POR EL CONSEJO GENERAL DE DENTISTAS DE ESPAÑA

En el marco del Congreso Mundial de la FDI celebrado en Ginebra, el presidente del Consejo General de Dentistas de España, el Dr. Óscar Castro Reino, ha mantenido una reunión con la presidenta de la FDI, la Dra. Ishane Ben Yahya, quien le ha agradecido que la FDE haya editado el Atlas de la Salud Oral en España, considerando que esta iniciativa es de gran interés para la FDI.

Además, el Dr. Castro Reino ha aprovechado la oportunidad para tras ladarle la decisión tomada por el Comité Ejecutivo del Consejo Ge neral de Dentistas de España de nombrarla consejera de honor de la Organización Colegial. La Dra. Ishane Ben Yahya asistirá en diciembre a la ceremonia de entrega de los Premios del Consejo General de Den tistas que se celebrará en Madrid.

En el marco del Congreso Mundial de la FDI, el Consejo General de Dentistas de España y la Federación Odontológica Colombiana han firmado un acuerdo de colaboración. El Dr. Óscar Castro y la Dra. Ma ría Fernanda Atuesta, presidenta de la organización colombiana, han

expresado que este convenio viene a reforzar las excelentes relacio nes institucionales ya existentes y permitirá seguir trabajando con juntamente en varios asuntos que afectan a la profesión de dentista en ambos países.

SANIDAD RECUERDA LA IMPORTANCIA DE FOMENTAR UN USO SEGURO DE LOS MEDICAMENTOS

El Ministerio de Sanidad suscribe, junto a las comunidades y ciudades autónomas, asociaciones de pacientes y sociedades cien tíficas, la campaña de la Organización Mun dial de la Salud (OMS) ‘Medicación sin daño’ con motivo del Día Mundial de la Seguridad de Paciente, celebrado el pasado 17 de sep tiembre. Esta campaña fomenta prácticas seguras en el uso de los medicamentos, la prevención de errores y la reducción de da ños con la medicación. Según estudios epi demiológicos realizados en España, el 37,4% de los eventos adversos tienen relación con la medicación en pacientes hospitalizados (estudio ENEAS) y el 48% en atención prima ria (estudio APEAS), de los que alrededor del 35% y 59% respectivamente, podrían evitarse aplicando practicas seguras en el uso de los medicamentos.

Los incidentes por el uso de medicamentos suponen alrededor del 20% de los que se notifican en el Sistema de Notificación y Aprendi

zaje para la Seguridad del Paciente (SiNASP), pro movido por el Ministerio de Sanidad, y representan el tipo más frecuente de incidentes comunicados. Según una reciente publicación del Ministerio de Sanidad, entre los errores de medicación de ma yor riesgo se encuentran aquellos relacionados con la incorrecta identificación de los pacientes, los errores en la prescripción o administración de medicamentos a personas con alergias o con efectos adversos previamente conocidos o los errores en el cálculo de dosis en los pacientes más vulnerables.

Los errores asociados con el uso de los medica mentos constituyen un problema de salud pública y, aunque son más frecuentes durante la admi nistración del medicamento, pueden ocurrir en cualquier etapa del uso de los medicamentos y en todos los ámbitos asistenciales. Según la OMS, los daños causados por la medicación representan el 50% del total de los daños evitables en la atención sanitaria con un coste asociado que se estima en 42.000 millones de dólares anuales.

dentistamoderno

actualidad NOTICIAS 62 el
octubre 2022
Pexels
63 eldentistamoderno octubre 2022 SOCIOS SECIB/SEOP COLEGIADOS ANDALUCÍA NO SOCIOS O COLEGIADOS ALUMNADO DE PREGRADO/ RECIÉN GRADUADOS/JÓVENES ODONTOPEDIATRAS SECIB JOVEN ALUMNOS DE POSGRADO REUNIÓN CONJUNTA SECIB - SEOP S E V I L L A 2 1 , 2 2 D E O C T U B R E X X I R E U N I Ó N J Ó V E N E S O D O N T O P E D I A T R A S DESPUÉS DEL 30 DE SEPTIEMBRE 40 € 40 € 75 € 20 € 40 € ANTES DEL 30 DE SEPTIEMBRE 30 € 30 € 60 € 15 € 30 € P R E C I O S H O T E L R I B E R A D E T R I A N A P L D E C H A P I N A , S / N , 4 1 0 1 0 S E V I L L A P O N E N T E S C O N F I R M A D O S D R A . M Ó N I C A M I E G I M O L L E D R . P A O L A B E L T R I D R . D A V I D G A L L E G O D R A . L E T I C I A B A G Á N D R A . A S U N C I Ó N M E N D O Z A Inscripciones: www.cactravel.es/secibseop2022/secibseop2022.htm

IFEMA MADRID, BRAND COMUNICACIÓN Y FENIN PRESENTAN ORAL-TECH, II FORUM INTERNACIONAL DE EXPODENTAL

La presentación del II Forum Internacional de Expoden tal, ORAL-TECH, reunió el pasado 27 de septiembre en el Recinto Ferial a más de medio centenar de empresas del sector dental, que han tenido la oportunidad de conocer en de talle las características de este nuevo evento, que se celebrará los días 21 y 22 de abril de 2023, impulsado por IFEMA MADRID y Brand Comunicación con la colaboración de la Federación Es pañola de Empresas de Tecnología Sanitaria (Fenin).

El nuevo evento contará con toda la infraestructura necesaria para dar cabida a una Zona de Exposición y a un Foro de Conocimiento con una amplia agenda de presentaciones, talleres prácticos, networking, etc., impartidos por los más destacados líderes de opinión. Además, se celebrará en años impares, buscando la alternancia con la celebración de EXPODENTAL, con objeto de dar respuesta a la necesidad de adqui rir conocimientos sobre las innovaciones de vanguardia, y al mismo tiempo servir de plataforma comercial para las empresas, en el per fecto equilibrio con el impulso que en este contexto ofrece también EXPODENTAL.

El acto ha contado con las intervenciones de Ana Larrañaga, directora de Negocio Ferial de IFEMA MADRID; Eva Beloso, consejera Técnica de Fenin; Luis M. Garralda, presidente Sector Dental de FENIN; Sonia Gomara, presidenta del Comité Organizador de EXPODENTAL; Ana Rodríguez, directora de ORAL-TECH y de EXPODENTAL, y Jordi Marti nez, director de BRAND COMUNICACIÓN.

Cerrando el acto, el CEO de Key-Stone, Roberto Rosso, ofreció una pre sentación sobre la “Evolución del sector dental en un contexto de ma yor incertidumbre y nuevas oportunidades”. Entre algunos de los da tos destacados del informe promovido por Fenin, señaló que en 2021 el sector dental ha recuperó casi un 30% de su negocio superando los valores anteriores a la pandemia, y alcanzando al cierre del ejercicio los 1.000 millones de euros de facturación, considerando también el crecimiento del segmento de los alineadores ortodónticos.

Según Rosso, a pesar de este importante crecimiento post pandemia, el sector en 2021 no había todavía recuperado totalmente el negocio perdido en 2020, si bien la tendencia del primer semestre 2022, con un crecimiento de un 11%, ofrece una visión muy positiva acerca de la recuperación del sector.

Por otra parte, el mercado de los productos consumibles está pasando por un periodo sensible debido a una fuerte reducción de los precios de los productos desechables que, durante el primer año de la pandemia, habían llegado a tener un peso del 30% en el consumo de las clínicas dentales.

El desarrollo del sector, concluyó Rosso, resulta “notablemente con dicionado por el crecimiento del sector tecnológico, con tendencias muy positivas en el ámbito digital, y crecimiento a doble dígito”. Tam bién las unidades de tratamiento presentan crecimientos muy im portantes, lo que revela una alta confianza de los profesionales que invierten en la modernización de sus centros odontológicos y labora torios protésicos.

dentistamoderno

actualidad NOTICIAS 64 el
octubre 2022

EL REGISTRO DE PROFESIONALES SANITARIOS CONTRIBUIRÁ A EVITAR EL INTRUSISMO PROFESIONAL EN TODAS LAS PROFESIONES SANITARIAS

Desde principios de 2022, la Federación Española de Higie nistas Bucodentales (HIDES) se ha reunido con distintos grupos políticos con el fin de poner freno al intrusismo profe sional que hay en la profesión de higienista dental ya que, se gún una encuesta realizada por HIDES, 7 de cada 10 higienistas conocen de algún caso de intrusismo profesional. Desde HIDES insisten en que uno de los puntos donde se puede hacer hincapié es la habilitación del Registro de Profesionales Sanitarios. Así, HIDES, a través de un grupo de Senadores del PP (Antonio Ro mán, Patricia Rodríguez y Juan María Vázquez), logró formular una pregunta en el Senado al Gobierno, el pasado mes de junio, a la que el Gobierno dio inmediata respuesta, alegando que el REPS contribuirá a evitar el intrusismo profesional en todas la profesiones sanitarias, incluida la de los higienistas dentales.

“Sin duda, se trata de un gran paso impulsado por HIDES, la cual cabe recordar que lleva trabajando por las mejoras profesionales de los hi

gienistas dentales desde 1986, indica que el trabajo bien hecho y la perseverancia hacen posible que se alcancen los logros”, asegura Eva López de Castro, presidenta de HIDES.

ALIGN TECHNOLOGY ABRE SU PRIMERA PLANTA DE FABRICACIÓN EN EUROPA EN BRESLAVIA (POLONIA)

Align Technology ha anunciado la apertu ra oficial de la primera planta de fabrica ción regional de Europa, Oriente Medio y África (EMEA) en Breslavia (Polonia). La nueva planta es el tercer centro de fabricación regional de Align en todo el mundo, después de Juárez, en México, y Ziyang, en China.

Las modernas instalaciones de Breslavia (Polonia) servirán como centro de operaciones para el negocio de Align en EMEA y formarán parte de la fabricación global de casi un millón de piezas únicas de aligners trans parentes al día. La ceremonia de inauguración ha tenido lugar recien temente en dicha localidad polaca con la presencia del vicepresidente de la ciudad, Jakub Mazur, junto con el equipo directivo de Align y los empleados locales.

Desde la compañía esperan que la nueva planta de fabricación de Align añada más de 2.500 puestos de trabajo para finales de 2025, lo que la con vierte en la mayor inversión de la empresa en la región hasta la fecha. El nuevo edificio tiene una superficie de 80.000 metros cuadrados y sigue las normas de sostenibilidad de Align, incluyendo los certificados LEED e ISO14001.

Las nuevas instalaciones de EMEA comenzaron a funcionar en el se gundo trimestre de 2022 como parte de la estrategia de Align de acercar sus instalaciones operativas a sus clientes. La región EMEA representa

más de 7 millones de casos anuales de nuevos pacientes de ortodoncia, así como los más de 150 millones de consumidores que podrían be neficiarse de una sonrisa sana y bonita.

“Me complace anunciar que nuestra primera planta de fabricación de aligners en la región EMEA y la tercera a nivel mundial se ha abierto en Breslavia, Polonia. Esta importante inversión subraya nuestro com promiso con los doctores formados en Invisalign y sus pacientes en la región y a nivel mundial, y amplía nuestras operaciones regionales que incluyen instalaciones de planificación de tratamientos (TREAT) con sede en Polonia, Alemania, Francia y España”, aseguró Emory Wright, vicepresidente ejecutivo de operaciones globales de Align Technology. Por su parte, Markus Sebastian, vicepresidente ejecutivo y director general de Align Technology para la región EMEA, añadió que “es un orgullo tener una planta de fabricación de última generación que inicia sus operaciones en la región EMEA. Esta expansión operativa permite a Align estar más cerca de nuestros doctores y seguir ofre ciendo una calidad de servicio excepcional, produciendo miles alig ners al día y optimizando nuestros tiempos de producción y entrega. Gracias al esfuerzo de toda la organización, podemos continuar con nuestra misión de ayudar a más doctores a crear bellas sonrisas para sus pacientes de Invisalign”.

65 eldentistamoderno octubre 2022

Align Technology

HENRY SCHEIN CONMEMORA SU 90º ANIVERSARIO CON LA APERTURA DE LA BOLSA NASDAQ

Henry Schein, Inc. abrió el mercado bursátil Nasdaq para conmemorar el 90º aniversario de la fundación de la empresa como farmacia en Queens, Nueva York, durante la Gran Depresión.

“Hoy, nos entusiasma celebrar el audaz paso que Henry Schein dio en 1932 para fundar nuestra em presa en una época de gran agitación económica.

Y qué mejor manera de hacerlo que uniéndose al excepcional equipo del Nasdaq para hacer sonar la campana de apertura”, afirmó Stanley M. Bergman, Chairman of the Board y Chief Executive Officer de Henry Schein, añadiendo que “mientras reflexionamos sobre nuestros éxi tos pasados, tenemos como objetivo seguir ayudando a transformar el pa norama sanitario mundial, y damos las gracias a nuestros clientes, socios proveedores, accionistas y miembros del equipo Schein por formar parte de nuestro viaje. Nuestros mejores años están por llegar”.

Desde la fundación de la empresa, Henry Schein, Inc. ha crecido hasta con

vertirse en un líder mundial en el suministro de soluciones de atención sanitaria para un millón de clientes en todo el mundo. Henry Schein es miembro de la lista Fortune 500 desde 2004 y del índice bursátil S&P 500® desde 2015. Con más de 22.000 miembros del equipo Schein y operaciones o filiales en 32 países y territorios, el equipo Schein sigue ampliando su presencia mundial y su ofer ta comercial, que incluye 300 valiosas soluciones que ayudan a mejorar el éxito operativo y los re sultados clínicos de los profesionales sanitarios. Durante 21 años consecutivos, Henry Schein ha sido incluida en la lista de «Empresas más admiradas del mundo» de la revista FORTUNE®, y duran te 11 años consecutivos, ha sido nombrada una de las empresas más éticas del mundo por el Ethisphere Institute. También este año, por séptimo año consecutivo, Henry Schein obtuvo la máxima puntuación en el Índice de Igualdad Corporativa 2022 de la Human Rights Campaign Foundation.

LA STARTUP ESPAÑOLA DE ORTODONCIA INVISIBLE QUICKSMILE CAPTA 1,7 MILLONES DE EUROS Y PREVÉ CUADRUPLICAR SU CUOTA DE MERCADO

La startup española QuickSmile, creada para hacer más accesibles los trata mientos de ortodoncia invisible, ha cerra do una ronda de financiación Serie A de 1,7 millones de euros que destinará a acelerar su crecimiento y a cuadruplicar su cuota de mercado en España en los próximos tres años. En esta inyección de capital han participado empresarios y expertos en ca pital riesgo como Azahar Private Capital SCR, la sociedad de capital riesgo del em presario Juan Conesa Alcaraz y deportis tas como el futbolista del Atlético de Ma drid Mario Hermoso. QuickSmile fue fundada en 2019 por César Moreno, licenciado en Ingeniería Mecánica y emprendedor en serie especializado en productos digitales; y el Dr. Manuel Poveda, ortodoncista con 13 años de experiencia, máster y doctor ‘cum laude’ en Odontología por la Universidad Complutense de Madrid, profesor de Odontología Integrada y miembro activo de la Sociedad Española de Prótesis, Estomatología, Estética y Ortodoncia. “Conocí al Dr. Poveda en 2017, mientras trabajaba en su consulta con

la marca que entonces tenía el monopolio de este tipo de tratamientos. Tras varias conversaciones y meses de investigación y desarrollo, ambos nos convencimos de que podíamos mejorar el producto, tanto en el plano clínico (estética del plástico, predictibilidad, eficiencia de los movi mientos dentales, etc.) como en las condi ciones comerciales hacia el doctor que lo prescribe y el precio final del tratamiento para el paciente. En septiembre de 2019 lanzamos al mercado QuickSmile”, explica César Moreno, CEO de la compañía. Tres años después, QuickSmile es considera da una de las marcas con mayor proyección de crecimiento en el sector de la ortodoncia invisible en España, habiendo duplicado anualmente su volumen de tra tamientos desde su creación. Hoy su facturación ha superado el millón de euros. Además, la compañía cuenta con el reconocimiento de exce lencia clínica de instituciones de prestigio como la SEDO y de universi dades como la Complutense de Madrid, la Universidad CEU San Pablo o la Universidad Católica San Antonio de Murcia (UCAM).

César Moreno (izda.) y el Dr. Manuel Poveda (dcha.), cofundadores de QuickSmile.
actualidad NOTICIAS 66 eldentistamoderno octubre 2022

BARCELONA DENTAL SHOW CONVOCA LOS ADVANCED DENTISTRY AWARDS 2023

Con el objetivo de fomentar y promover la transformación del sector dental en España, Barcelona Dental Show convoca los Advanced Dentistry Awards 2023, un certamen dirigido a empresas, universidades, proveedores, investigadores y, en definitiva, a cual quier entidad que apueste por la innovación y la mejora constante en los procesos, técnicas y tratamientos.

Del 26 al 28 de enero de 2023, Barcelona Dental Show reunirá las úl timas tecnologías y soluciones para la transformación del cuidado oral. En el marco de este encuentro único, se entregarán los Advan ced Dentistry Awards 2023.

Este certamen reconoce el trabajo, el liderazgo y la transformación de aquellas empresas, profesionales y académicos que apuestan por la innovación y se adaptan a la nueva era de la digitalización en el sector del cuidado oral y dental, poniendo especial atención a las áreas de

modelo de negocio, nuevos productos, equipos, procesos operativos, experiencia de cliente o investigación e innovación. Las categorías a premiar en los Advanced Dentistry Awards 2023 son las siguientes:

Mejor innovación digital.

Premio a la clínica dental más innovadora.

Premio al laboratorio más innovador.

Premio a la startup más innovadora.

Reconocimiento a la trayectoria profesional.

Mejor solución, material o tratamiento.

Premio a la mejor comunicación.

El plazo de inscripciones ya está abierto. Para participar, los interesa dos deben enviar su candidatura ante del 23 de noviembre.

PRINCIPALES IMPLICACIONES DEL BROTE DE VIRUELA DEL MONO PARA LA PRÁCTICA DENTAL

Afinales de julio, la Organización Mundial de la Salud (OMS) declaró el brote de viruela del mono (MPX) como una emergencia de salud pública de importancia internacio nal. Sin duda, esto ha dejado muchas preguntas en la mente de los trabajadores de la salud, incluidos los profesionales de la salud bucal, sobre sus consecuencias en su práctica y atención. Así, un artículo publicado en International Dental Journal (IDJ) explora las implicaciones de este brote para la práctica dental.

Los dentistas pueden ser los primeros en reconocer a un paciente con viruela del mono, ya que las úlceras orales son la manifestación principal en más del 25% de los casos. Además, como siempre, los dentistas deben implementar estrictas medidas estándar de control de infecciones para evitar la propagación viral a través del contacto y la transmisión por aerosol.

Sobre cómo puede afectar la viruela del mono a los profesionales de la salud bucodental en su práctica diaria, el editor jefe del IDJ, el pro fesor Lakshman Samaranayake, explica que “el modo principal de propagación de MPX en odontología es a través del contacto directo o indirecto con fluidos corporales, o material de lesiones orales o pústulas cutáneas; la transmisión por aerosol también es una posi bilidad. Sin embargo, la transmisión de MPX en la clínica dental es poco probable si se siguen estrictamente las precauciones estándar de prevención y control de infecciones. Estos últimos incluyen el uso de máscaras N95, vestimenta resistente a líquidos y protección

para los ojos. Además, todo el personal dental debe permanecer alerta y estar preparado para manejar a los pacientes que pueden presentar, consciente o inconscientemente, síntomas orofaciales o de otro tipo de MPX”.

Acerca de las medidas que pueden tomar los dentistas y sus equi pos para disminuir el riesgo de infección por MPX, Samaranayake asegura que “todos los dentistas, particularmente en áreas endémi cas o prevalentes de enfermedades, deben educar al equipo dental sobre las características clínicas de MPX y cómo se puede propagar en la clínica. En particular, siempre se debe implementar y cumplir estrictamente el control estándar de infecciones, incluidas las pre cauciones de microgotas”.

También señala que “es fundamental contar con un plan estratégico para el manejo de los pacientes con MPX que pueden presentarse en la clínica con síntomas orofaciales u otros de la enfermedad. Por ejemplo, todo el equipo dental debe saber cómo manejar a dichos pacientes en la presentación; cómo sentarlos en un área cerrada hasta el tratamiento y tratarlos en un área clínica restringida, si es posible; y diferir el tratamiento que no sea de emergencia hasta que los síntomas disminuyan, con consultas posteriores a través de la teleodontología”.

67

eldentistamoderno octubre

Mora del virus de la viruela del mono (rosa) y las partículas inmaduras (azul) de una lesión en la piel con viruela del simio.
2022

EL I CONGRESO DE ALINEADORES Y NUEVAS TECNOLOGÍAS RECIBE A MÁS DE 1.800 PROFESIONALES DE LA ORTODONCIA

Valencia se convirtió los días 23 y 24 de septiembre en la ca pital mundial de la ortodoncia invisible. Más de 1.800 profesionales de la Odontología han acudido al primer Congreso de Alineadores y Nuevas Tecnologías, organizado por la Sociedad Española de Ortodoncia y Ortopedia Dentofacial (SEDO), que se ha consolidado como el más grande celebrado hasta ahora en todo el mundo.

En el Palacio de Congresos de Valencia se han dado cita, asimismo, más de medio centenar de ponentes de renombre internacional y cua

renta casas comerciales que han aprovechado este marco inigua lable para presentar en primicia algunas de sus principales no vedades. “Hemos superado todas las expectativas”, han reconocido los presidentes de la SEDO y del congreso, los doctores Juan Car los Pérez Varela y Manuel Ro mán, respectivamente “Estamos en uno de los pala cios de congresos más grandes de España y colgamos el cartel de ‘completo’ hace un tiempo, lo que demuestra que los asisten tes tenían muchas ganas de esta cita”, han agregado. Durante las dos jornadas del evento, más de 1.500 odontólogos llegados desde diversas partes del mundo han podido ampliar su formación en esta novedosa tecnología que ha llegado para revolucionar el sector de la Ortodoncia. Lo han hecho de la mano de expertos reco nocidos a nivel nacional e internacional como los doctores Manuel Román, Arturo Vela, Ravindra Nandra, Iván Malagón, Rodrigo Martín, Diego Peydro, Elvira Antolín y Susana Palma, entre otros muchos. Los ponentes han abordado diferentes aspectos de los alineadores, com partiendo con los asistentes al congreso los últimos avances en el campo de la Ortodoncia Invisible, pero también interesantes consejos y técnicas para ofrecer el mejor servicio a los pacientes. Además, de forma paralela al congreso principal, se han celebrado dos intracongresos dirigidos al personal de clínica, uno centrado en la gestión y otro destinado a higienistas dentales. Los mismos han con tado con la participación de más de trescientos profesionales, quienes han adquirido, entre otras, competencias que les permitirán dar una visión 360 a sus centros, así como alcanzar la excelencia en los trata mientos con alineadores.

El de Valencia ha sido, además, un congreso en el que ha quedado de mostrada la unidad reinante en el sector. “Necesitamos estar más unidos que nunca para afrontar lo que viene de cara, como la lucha por conse guir las especialidades dentro de la Odontología y frente a la comercia lización indiscriminada de alineadores, entre otras cosas”, ha explicado Juan Carlos Pérez Varela. Se ha mostrado, asimismo, convencido de que “la SEDO es ahora una sociedad mucho más fuerte para defender aún con más ahínco los intereses de la Ortodoncia y de los ortodoncistas”.

actualidad NOTICIAS 68 eldentistamoderno octubre 2022

Información para decidir

Solo aquella información basada en la responsabilidad y la calidad nos hace libres para tomar las mejores decisiones profesionales. En ConeQtia, entidad colaboradora de CEDRO, garantizamos contenido riguroso y de calidad, elaborado por autores especializados en más de 30 sectores profesionales, con el aval de nuestros editores asociados y respaldando el uso legal de contenidos. Todo ello con la nalidad de que el lector pueda adquirir criterio propio, facilitar la inspiración en su labor profesional y tomar decisiones basadas en el rigor.

Por este motivo, todos los editores asociados cuentan con el sello de calidad ConeQtia, que garantiza su profesionalidad, veracidad, responsabilidad y abilidad.

coneqtia.com
Con la colaboración de:

LA TERCERA EDICIÓN DEL DS WORLD MADRID CONGREGA A MÁS DE 1.400 PROFESIONALES

Con el lema ‘Patients First’, Dentsply Sirona celebró los días 16 y 17 de septiembre la tercera edición del DS World Madrid en el céntrico hotel Eurostars Tower, donde ha presentado su DS Digital Universe, un nuevo servicio en la nube que facilita, conecta y hace más eficientes los flujos de trabajo digitales desde el diagnóstico hasta la restauración final. El DS World ha significado una revolución por su innovador formato y su contenido formativo centrado en el flujo digital. Los más de 1.400 asisten tes al evento, llenaron casi por completo la extensa oferta formativas de los dos días: 15 talleres, seis conferencias, una sesión de transformación digital y una sesión plenaria de flujo digital de principio a fin.

Sesión plenaria ‘DS Signature™ Workflows: desde el diagnóstico hasta la restauración final’

El plato fuerte fue la sesión plenaria ‘DS Signature™ Workflows: desde el diag nóstico hasta la restauración final’ que congregó a más de 600 personas para realizar un recorrido por todas las fases del flujo de trabajo digital completo a través de breves e inspiradoras ponencias tipo TED Talk de profesiona les TOP en cada fase:Diagnóstico, con el Dr. Guillermo Pradíes; Planificación y Tratamiento de ortodoncia, con la Dra. Angélica Iglesias; Planificación y Tratamiento de endodoncia, con el Dr. Francesc Abella; Planificación y Tra tamiento de implantes, con el Dr. Sergio García-Bellosta; Restauración final en clínica, con el Dr. Ferran Llansana; y Restauración final en laboratorio,

con los TPD. Carlos Plata y August Bruguera. Una sesión conducida por el Dr. Miguel Roig, chairman del congreso, y la periodista Mara Torres.

En esta sesión se evidenció la importancia de conectar todas las fases del flujo digital para hacer más eficiente la práctica diaria de la clínica dental y para poder ofrecer a los pacientes lo que están buscando: tratamientos completos, rápidos, poco invasivos y seguros.

DS Core y Primeprint, la impresora 3D de Dentsply Sirona

Durante la sesión plenaria se presentó DS Core, la solución en la nube de Dentsply Sirona en colaboración con Google Cloud que permite a los doctores almacenar, consultar y compartir los archivos digitales de sus tratamientos, y trabajar de una forma colaborativa con todos sus espe cialistas, colaboradores y laboratorios, y así optimizar procesos y trabajar de una forma más eficiente para centrarse en lo que realmente importa: los pacientes.

Además, la solución es completamente segura, ya que adopta los máxi mos estándares de protección de datos, para la máxima seguridad de pa cientes y clínicas.

También se presentó la impresora 3D: Primeprint, la primera impresora 3D catalogada como dispositivo sanitario y que ofrece una forma de tra bajo segura y sin complicaciones. Los cartuchos biocompatibles y espe cíficos para cada uno de los tratamientos, aumentan la facilidad de uso

actualidad NOTICIAS 70 eldentistamoderno octubre 2022

del dispositivo. La impresión 3D, la limpieza y el fotocurado en procesos completamente automatizados con tan solo dos dispositivos: la impreso ra 3D Primeprint y la Primeprint PPU (unidad de procesamiento poste rior). La innovadora jarra Primeprint permite una manipulación cómoda y sencilla del material sin contacto directo con las resinas. La combi nación del software y el hardware dental inteligente permite imprimir aplicaciones biocompatibles con resultados reproducibles y precisos. Primeprint™ Solution permite delegar totalmente en el equipo y ayuda a maximizar la productividad gracias al alto nivel de automatización y tiempos de manipulación inferiores.

DS World Las Vegas y DS World Madrid, conectados

Los asistentes a la sesión plenaria vieron como el DS World Madrid conec taba en directo con DS World Las Vegas, el evento homónimo de la com pañía para el mercado americano. Más de 4.500 personas en Las Vegas y 600 personas en Madrid pudieron saludarse y compartir energía al mismo tiempo que Xavi Carro, Director General de Dentsply Sirona Iberia, y An drew Robinson, Director General de Dentsply Sirona en Norte América y responsable de transformación digital, hablaron en directo y mostraron un compromiso global de la compañía por empoderar a los doctores y poner el paciente en el centro.

Los asistentes al DS World Madrid han podido disfrutar de dos días de formaciones a cargo de 47 speakers de primer nivel de los que aprender e inspirarse, a través de talleres prácticos y conferencias centrados en el flujo digital de cada uno de los tratamientos, así cómo sesiones centradas en cómo aplicar el One-Day Dentistry y distintos módulos para conseguir una gestión eficiente de las clínicas dentales. Como previa a la sesión plenaria del viernes, tuvo lugar una sesión sobre transformación digital. Alberto Díaz, CEO de Migration y experto en Trans

formación Digital, y Mònica Zapata, Responsable de Experiencia de Usua rio del CTTI y experta en user experience, fueron los encargados de hablar de ‘Transformación digital en otros sectores’ ante 600 asistentes.

Los asistentes al DS World tuvieron la oportunidad de conseguir, de mane ra gratuita, un NFT de su sonrisa. Una activación disponible en exclusiva para los asistentes y con la que cada asistente al congreso podía conseguir un NFT personal de su sonrisa, con un certificado de autenticidad.

En la zona de Exposición se realizaron numerosas demostraciones en directo tanto de las novedades como Primeprint o el DS CORE como del resto de soluciones de la compañía, así cómo demostraciones en directo de maquillaje por parte de la TPD Juliana Santos se retransmitieron por las pantallas del evento.

L a Sociedad Española de Prótesis Estomatológica y Estética (SEPES) y la Universidad Europea de Madrid han suscrito un convenio de colaboración que tiene como objetivo promover la realización conjunta de actividades formativas así como de asesoramiento e investigación dentro del campo de la Odontolo

gía beneficiosas para los asociados de SEPES y los estudiantes y claustro de la Universidad Europea en Madrid.

En virtud de este convenio el alumnado de la universidad dispondrá de la oportunidad de acceder gratuitamente a algunos de los webse minars de Odontología multidisciplinar que mensualmente tienen lugar en el calendario formativo de SEPES.

Por su parte, la Universidad Europea dispondrá de la opción de estar pre sente con un espacio informativo en el congreso anual que SEPES celebra rá en octubre de 2022 en Gran Canaria y en octubre de 2023 en Valencia para dar a conocer a todos los congresistas la oferta formativa que tiene.

Asimismo la Universidad Europea en Valencia se ha sumado a esta iniciativa suscribiendo asimismo con SEPES un convenio de análo gas características.

eldentistamoderno

SEPES Y LA UNIVERSIDAD EUROPEA DE MADRID SE UNEN PARA PROMOVER LA FORMACIÓN, EL ASESORAMIENTO Y LA INVESTIGACIÓN EN ODONTOLOGÍA
71
octubre 2022
actualidad NOTICIAS 72 eldentistamoderno octubre 2022 www.eldentistamoderno.com @DentistaModerno DM El Dentista Moderno eldentistamoderno@eldentistamoderno Siguiendo la evolución de la Odontología para el profesional del sector llamado a construir el futuro

3Shape lanza el nuevo escáner intraoral TRIOS 5 Wireless

3Shape ha presentado recientemente TRIOS 5 Wireless, un escáner intraoral completamente nuevo y de última generación diseñado para facilitar a los dentistas la digitalización de su trabajo.

TRIOS 5 Wireless hace que el escaneo sea más fluido y rápido con ayuda de su nueva tecnología de alineación inteligente ScanAssist, introducida en un escáner rediseñado, compacto e higiénicamente optimizado, para ofrecer el más alto estándar en rendimiento de imagen y control de infecciones.

Con más de 50 mejoras para la facilidad de uso y en el diseño, TRIOS 5 Wireless es el escáner más pequeño y ligero de 3Shape y está perfectamente equilibrado para adaptarse cómodamente a cualquier mano.

TRIOS 5 Wireless ofrece una simplicidad de escaneo sin precedentes. Tal y como aseguran desde 3Shape, un anillo LED y la respuesta sensorial háptica guían al profesional mientras escanea para que la toma de impresiones digitales sea más suave y rápida. Y ahora, con la tecnología ScanAssist, que minimiza la desalineación y la distorsión en los modelos 3D, el dentista puede escanear a sus pacientes en cualquier dirección que desee: sólo tiene que crear la ruta de escaneo que sea mejor para él.

TRIOS 5 Wireless cuenta con una punta de escáner autorizada por la FDA, cerrada y esterilizable en autoclave, protegida por un cristal de zafiro que no se raya, para definir un nuevo nivel de higiene. Además, incluye fundas ultrafinas, ajustadas y casi invisibles de un solo uso para cubrir el cuerpo del escáner y minimizar el riesgo de contaminación cruzada.

“En 3Shape, nos hemos esforzado por alcanzar la perfección a lo largo de cinco generaciones de evolución del escáner intraoral. Utilizando un software de escaneo de última generación e inteligencia artificial para ofrecer colores más nítidos, mayor precisión y eficiencia, creemos que TRIOS 5 supera todas las expectativas. Con su aspecto ergonómico y bien equilibrado, inspirado en el diseño danés clásico, TRIOS 5 Wireless alcanza su máxima expresión”, asegura Jakob Just-Bomholt, CEO de 3Shape.

3Shape www.3shape.com

W-Elevator, el nuevo instrumento para la liberación de la tensión del colgajo

W-Elevator, el nuevo instrumento desarrollado por el Dr. Hom-Lay Wang y el Dr. Shih-Cheng Wen, está específicamente diseñado para lograr la máxima liberación del colgajo de manera predecible y atraumática, y facilitar así esta tarea a todos los odontólogos. Esto no es solo importante en los injertos de tejido blando, sino que también desempeña un papel clave en los aumentos óseos verticales y horizontales, donde es crucial que no haya tensión alguna.

W-Elevator se presenta en dos medidas: grande (ref. 8402) y pequeña (ref. 8403). Esta novedad fue presentada por uno de los propios creadores, el Dr. Hom-Lay Wang, en su conferencia en SEPA Málaga’22. Para más información, puede consultar en: https://salugraftdental.com/ categoria-producto/instrumental/ Salugraft Dental https://salugraftdental.com

novedades MATERIALES, INSTRUMENTAL Y EQUIPO 74 eldentistamoderno octubre 2022

Henry Schein España lanza el software Studio Pro 4.0TM para Reveal® Clear Aligners

Henry Schein España anuncia el lanzamiento de Studio Pro™ 4.0, un nuevo software de visualización de tratamientos a través de la web para los Reveal® Clear Aligners de Henry Schein Orthodontic (Reveal), una solución cómoda para los pacientes que buscan mejorar la sonrisa, altamente estética, con un plan de tratamiento aprobado por el dentista que elijan.

Vinculado al DDX® Case Management Portal, un servidor remoto donde se envían las imágenes y se pueden gestionar los casos, Studio Pro 4.0 ofrece a los proveedores de Reveal herramientas de configuración virtual para visualizar, personalizar y comunicar planes de tratamiento diseñados para lograr resultados predecibles para la planificación del tratamiento con alineadores transparentes. Con más de 25 nuevas funciones, profesionales de todos los niveles pueden navegar fácilmente por una interfaz intuitiva que ha sido diseñada pensando en los médicos, basándose en una amplia investigación de mercado y en los comentarios recibidos.

“Estamos comprometidos a ofrecer a nuestros clientes soluciones nuevas e innovadoras que ayuden a mejorar el resultado del tratamiento y a proporcionar una atención de alta calidad al paciente. Studio Pro 4.0 ofrece a los profesionales clínicos un mayor control sobre la visualización y modificación del plan de tratamiento, a la vez que mantiene un flujo de trabajo simplificado de alineadores claros con integraciones directas de escáneres para nuestros clientes”, afirmó Jesús Sales, Marketing Director de Henry Schein España.

Con la funcionalidad adicional de la plataforma Studio Pro 4.0, los proveedores de Reveal pueden personalizar la planificación del tratamiento con mayor facilidad a la hora de revisar y aprobar los casos de alineadores. Los odontólogos que ofrezcan el tratamiento Reveal también seguirán recibiendo el apoyo de Henry Schein España en la consulta, lo que ayudará a garantizar que los clientes aprovechen al máximo las ventajas que ofrece el flujo de trabajo de los alineadores transparentes.

“Studio Pro 4.0 supone un gran avance para ayudar a mejorar la capacidad de los profesionales a la hora de diseñar el tratamiento”, apuntó el Dr. Dave Paquette, propietario de Paquette Orthodontics (Estados Unidos), añadiendo que “como usuario de Reveal, me entusiasma que el nuevo software de planificación del tratamiento de Henry Schein Orthodontics me permita tener un mayor control sobre la configuración del tratamiento. Además de cumplir mis expectativas como usuario, la interfaz gráfica y la facilidad de uso del software hacen que mis pacientes puedan entender mucho más fácilmente en qué punto del tratamiento se encuentran y cómo avanzan las cosas”. Para más información sobre los Reveal Clear Aligners y el software de visualización de tratamientos Studio Pro 4.0, póngase en contacto con el equipo de Henry Schein España.

Con el nuevo sistema P4000 para la impresión 3D, Zirkonzahn ofrece a los dentistas y protésicos dentales un paquete preconfigurado, concebido específicamente para el flujo de trabajo dental y para utilizarlo en la producción de modelos dentales de resina. El sistema, que incluye la Impresora P4000, el software Zirkonzahn.Slicer y la Lámpara de polimerización L300, está indicado para su uso con la resina Printer Resin Waterbased Beige de Zirkonzahn. La Impresora P4000 ocupa poco espacio y dispone de una pantalla LCD, monocromática 4K de alta resolución. Gracias al gran volumen de impresión (L x P x A: 20 x 12,5 x 20 cm), se pueden producir simultáneamente, por ejemplo, hasta 21 modelos Geller o 15 modelos de arcadas, dependiendo de la estructura y el tamaño. La impresora está diseñada para procesar resinas con una longitud de onda de 405 nm, por lo que es especialmente adecuada para su uso con la resina Printer Resin Waterbased Beige.

Los datos del paciente adquiridos a partir de impresiones o escaneos intraorales, pueden cargarse en el módulo de software Model Maker de forma rápida y sencilla. Los modelos creados se transfieren al nuevo software Zirkonzahn.Slicer para su posicionamiento en la plataforma de impresión y la eventual creación de soportes. Enseguida, los archivos para la impresión en 3D pueden enviarse a través de una memoria USB, LAN o WiFi a la Impresora P4000. Después de la limpieza con agua en un baño de ultrasonidos y polimerización del modelo, los movimientos mandibulares del paciente pueden controlarse en el articulador PS1 o en el Mini-Arti ZS1, utilizando el nuevo sistema JawAligner PS1 o ZS1 (espaciadores magnéticos) sin utilizar yeso. Desde la compañía recomiendan revisar los consejos e instrucciones de Zirkonzahn para modelar con precisión y exactitud.

Zirkonzahn www.zirkonzahn.com

eldentistamoderno octubre 2022

Sistema P4000 para la impresión 3D de Zirkonzahn para ampliar el flujo de trabajo digital
75

Planmeca introduce una visión pionera en la ortodoncia invisible con HeySmile

Planmeca Group está listo para dejar huella en la ortodoncia invisible con HeySmile, un nuevo sistema de alineadores transparentes completamente digital, que puede adaptarse con flexibilidad a la más amplia gama de tratamientos, flujos de trabajo y herramientas. Es una solución dirigida por el Doctor y completamente abierta que se integra a la perfección en cualquier clínica dental.

HeySmile da al dentista el control del tratamiento con alineadores. La plataforma digital HeySmile Studio permite realizar un diagnóstico completo y la prescripción del tratamiento con unos solos y sencillos clics y acepta archivos 3D abiertos desde casi cualquier escáner intraoral o dispositivo de imágenes, sin restricciones artificiales. La comunicación directa con un técnico de planificación de HeySmile garantiza que el plan de tratamiento esté siempre en línea con los objetivos de tratamiento del Doctor. Desde la planificación del tratamiento hasta la fabricación y el control de calidad, todo se completa en las instalaciones de última generación de HeySmile. Gracias a un equipo experimentado de técnicos dentales y la experiencia de décadas de Planmeca en odontología, los planes de tratamiento de HeySmile tienen una de las tasas de primera aceptación más altas del mercado, según indican desde la compañía.

Los alineadores HeySmile están fabricados con el exclusivo material Timanti™ de tres capas, que permite que los alineadores mantengan su forma mientras guían suavemente los dientes del paciente en la posición deseada. “Como resultado, los tratamientos HeySmile ofrecen resultados increíblemente predecibles a la vez que minimizan las molestias del paciente. Gracias a los optimizados procesos internos, los alineadores pueden diseñarse, fabricarse y enviarse tan pronto como en una semana”, destacan desde Planmeca.

“En Planmeca, siempre buscamos ese reto cotidiano que podemos resolver en la clínica dental. HeySmile resuelve tres: una solución eficaz de tratamiento con alineadores transparentes que está realmente dirigida por el dentista, de una forma predecible y abierta a todo el mundo. Nos enorgullece poder decir que no se parece a ningún otro sistema de alineadores existente”, afirma Jukka Kanerva, vicepresidente de Planmeca.

HeySmile tiene su sede en Málaga (España) y actualmente está expandiendo sus servicios por toda Europa.

Planmeca Iberia www.planmeca.com

Ivoclar presenta VivaScan, una solución de escaneado intraoral compacta e intuitiva para las consultas dentales

tratamiento, lo que beneficia la salud bucal de los pacientes y mejora su bienestar a largo plazo”, aseguran desde Ivoclar.

VivaScan es un escáner intraoral compacto y potente para la consulta dental, que ofrece una experiencia de escaneado flexible. Su diseño delgado, ligero y ergonómico hace que el escaneo sea una tarea sencilla. Gracias a su ligereza (sólo 230 g), VivaScan se adapta con flexibilidad a los flujos de trabajo rutinarios de los dentistas. Gracias a la función plugand-play del dispositivo, VivaScan puede utilizarse como un sistema móvil y portátil. El escáner sólo necesita conectarse a un ordenador portátil mediante un único cable, lo que facilita aún más su manejo. De este modo, los cables adicionales que podrían estorbar durante el proceso de escaneado son cosa del pasado.

VivaScan es una solución compacta e intuitiva para los dentistas que desean entrar en el mundo de la odontología digital.

Ivoclar lanza al mercado el nuevo VivaScan, una solución de escaneo intraoral compacta e intuitiva para los dentistas que desean entrar en el mundo de la odontología digital. Gracias a su diseño independiente, el dispositivo puede integrarse fácilmente y sin esfuerzo en la rutina diaria de la consulta, donde ofrece resultados de escaneado convincentes y permite un flujo de trabajo más eficiente. Con un escáner intraoral, los dentistas pueden tomar impresiones digitales de los dientes de sus pacientes de forma rápida y sin dificultades. “En comparación con la toma de impresiones convencional, la toma de impresiones digital ahorra mucho tiempo y es más cómoda para el paciente. Además, el paciente obtiene una visión interesante de sus propios dientes y una comprensión profunda del

Además, VivaScan destaca por ofrecer una combinación de simplicidad y rendimiento, ya que es un escáner compacto que viene con dos puntas de diferente tamaño (normal y pequeña) para adaptarse a las necesidades individuales de cada paciente y hacer que la toma de impresión digital sea lo más cómoda y eficaz posible. La punta normal de VivaScan es ideal para escaneos generales, mientras que la punta pequeña es mejor para escanear en zonas de difícil acceso o para pacientes con una boca pequeña. La alta velocidad del nuevo VivaScan permite un escaneo rápido y eficaz y permite a los dentistas tratar a un mayor número de pacientes sin perder un tiempo precioso. Así, la innovadora tecnología de escaneado láser ofrece resultados altamente precisos para proporcionar a los pacientes restauraciones de excelente ajuste que ponen una sonrisa en sus rostros.

Ivoclar www.ivoclar.com

novedades MATERIALES, INSTRUMENTAL Y EQUIPO 76 eldentistamoderno octubre 2022

Align Technology presenta la nueva función del CBCT para el software de planificación de tratamiento digital ClinCheck

Align Technology presenta la nueva función del Cone Beam Computed Tomography (CBCT, Tomografía Computarizada de Haz Cónico en español) para el software de planificación de tratamiento digital ClinCheck, una herramienta fácil de usar que combina raíces, hueso y coronas en un solo modelo tridimensional que permite a los doctores visualizar las raíces de un paciente como parte del proceso de planificación digital del tratamiento. La función de integración CBCT ayuda a los doctores a ampliar el diagnóstico y tratar una gama más amplia de casos con el sistema Invisalign al aumentar la visibilidad y el control de las estructuras anatómicas subyacentes de un paciente durante el proceso de planificación digital del tratamiento.

“Align se enorgullece de estar a la vanguardia de la ortodoncia digital y la odontología, construyendo una plataforma integrada de productos y servicios digitales que proporcionan una solución perfecta para que los doctores traten a sus pacientes de manera eficiente y efectiva y desarrollar sus consultas”, ha afirmado Raj Pudipeddi, director de Productos y Marketing de Align Technology y vicepresidente ejecutivo y director general en Asia-Pacífico. “En una interfaz fácil de usar, los datos del escáner CBCT se fusionan digitalmente con un escaneo intraoral, lo que da lugar a un modelo de plan de tratamiento ClinCheck en 3D que se puede manejar y hace los doctores puedan adaptar sus planes de tratamiento en función de las necesidades de sus pacientes. Nos complace ofrecer una función automatizada de alta calidad que es fácil de usar e incorporar por los doctores en su flujo de trabajo digital. Nuestra tecnología innovadora ofrece planes de tratamiento con una interfaz de usuario muy intuitiva que permite a los profesionales de la salud bucodental brindar la mejor atención posible a sus pacientes”, añade

“La integración de los datos del escáner CBCT en la planificación digital del tratamiento brinda a los doctores el control y la confianza para aprovechar su experiencia y expandir el tratamiento a todos los tipos de maloclusión, incluidos los casos orto-restaurativos con preparación del área del implante, decidiendo sobre las diferentes opciones de planificación del tratamiento (como expansión frente a extracción), así como casos de adolescentes para explorar dientes impactados o no erupcionados”, ha asegurado el Dr. Graham Gardner, un ortodoncista en Richmond, Virginia. Y añade que “la planificación del tratamiento utilizando las raíces reales de un paciente es un punto de inflexión. La cantidad de información adicional y los conocimientos que proporciona son transformadores ahora que podemos

tener en cuenta las características individuales de la raíz y el hueso. La planificación proactiva del tratamiento que hacemos con los aligners transparentes de Invisalign hace que sea aún más adecuado integrar esto, ya que diseñamos el plan de tratamiento por adelantado en lugar de reaccionar a sus efectos como generalmente hacemos con los aparatos fijos”. “El uso de datos del escáner CBCT integrados en el plan ClinCheck me permite ver la corona, las raíces y la estructura ósea subyacente desde diferentes ángulos”, ha aseverado el Dr. Alain Souchet, ortodoncista en Mulhouse, Francia. “Ahora puedo visualizar y tener en cuenta la ubicación de los dientes impactados, los dientes no erupcionados de mis pacientes adolescentes y la posición de la raíz de los dientes en todos mis casos. La planificación del tratamiento es mucho más fácil ahora porque puedo aprovechar la capacidad del software ClinCheck y sus numerosas funciones, como los controles 3D para las raíces”, añade.

Align Technology www.aligntech.com

DentalMonitoring lanza al mercado una nueva plataforma de consulta virtual para los pacientes

Para facilitar la transformación digital de las clínicas dentales, DentalMonitoring ha desarrollado la Plataforma de Práctica Virtual. Se trata de una herramienta online complementaria a las visitas médicas presenciales, para que los odontólogos puedan ampliar su consulta a un entorno virtual, identificar y organizar los casos, optimizar los tratamientos, hacer seguimiento de los resultados y supervisar en todo momento a los pacientes. Este dispositivo abarca desde la higiene, la salud bucal y la retención hasta los movimientos dentales críticos en tratamientos con aparatos y alineadores.

Además de la optimización de la práctica clínica, esta plataforma también resulta beneficiosa para los pacientes, que podrán comunicarse de forma más directa con su dentista, ver la progresión de su tratamiento e incluso cómo será el resultado final, gracias a la inteligencia artificial implicada en el proceso.

DentalMonitoring www.dentalmonitoring.com

eldentistamoderno octubre

77
2022

Instrucciones para publicar en “El Dentista Moderno”

OBJETIVOS

El Dentista Moderno es una publicación dirigida al odontólogo profesional. Sus objetivos son la difusión y el intercambio de los conocimientos más avanzados en el campo dental, buscando alcanzar una actualización permanente sobre todas las cuestiones que atañen a su profesión con especial importancia en la actividad clínica.

TIPOLOGÍA DE LOS ARTÍCULOS

El Dentista Moderno, se rige por las normas de calidad para la indexación de revistas científicas españolas, buscando principalmente los siguientes tipos de artículos:

n Artículo de investigación científica y tecnológica. Documento que presenta, de manera detallada, los resultados originales de proyectos terminados de investigación.

n Artículos sobre descripciones de nuevas metodologías o técnicas y/o materiales.

n Artículos sobre casos clínicos. En los que se espera que se presenten situaciones clínicas particulares tanto por sus hallazgos como por su tratamiento.

n Artículos de revisión sobre literatura ya publicada.

POLÍTICAS EDITORIALES

n Originalidad.

Todos los artículos o reseñas que se sometan al proceso de arbitraje de El Dentista Moderno deben ser inéditos. Solicitamos a los autores abstenerse de remitir trabajos que ya han sido publicados parcial o completamente por otros medios -salvo publicaciones en línea de documentos de trabajo (working papers)- o en traducciones a otros idiomas. Si se detectan evidencias de documentos similares o idénticos ya publicados, el trabajo será rechazado automáticamente.

n Sistema de arbitraje.

Todos los artículos que se presenten a la revista para sus ediciones serán sometidos a un proceso de arbitraje “doble ciego” que se realizará con ayuda de pares expertos en cada temática. La participación de los pares será ad honórem y se espera que sea asumido como un pacto de reciprocidad académica, en el que se intenta aportar de manera constructiva a fortalecer (y validar) la investigación y los aportes de otros colegas dentro de la disciplina. En el caso de las reseñas, que son documentos de difusión, podrán ser revisadas por el editor mismo o por otros miembros del equipo editorial de la revista. Su publicación se decidirá de acuerdo con su coherencia temática y textual, su relevancia para el área o según el interés o vigencia de la discusión que proponga. n Exclusividad.

Los artículos que se sometan a arbitraje en El Dentista Moderno no pueden estar siendo evaluados por otras revistas, ni deben presentarse de manera simultánea a otros procesos de arbitraje. n Confidencialidad.

Como el arbitraje se realizará a través de un sistema “doble ciego”, con el fin de garantizar una mayor independencia de la partes (ni los autores ni los evaluadores tendrán entre sí datos de su identidad, perfil académico o procedencia), esa información solo será tratada por los responsables de la revista y no se revelará a terceras partes. Los soportes del proceso de cada artículo se conservarán para efectos de indexación o verificación del arbitraje.

PAUTAS DE PRESENTACIÓN

La solicitud de publicación de cualquier trabajo debe ir acompañada de una carta, firmada por los autores, donde se exponga y declare que el artículo es original y que no está sujeto a una posible publicación en otras revistas. Al mismo tiempo, se debe ceder la propiedad literaria a la editorial, que podrá disponer del trabajo para su publicación en su totalidad o en parte, en España y en el extranjero, sin previa comunicación a los autores.

Si el artículo aparece encabezado por una Institución, la carta debe contener la aprobación del director o de otro posible responsable de la misma.

Los artículos deberá atenerse al siguiente estructura:

n Título y eventual subtítulo:

En una página aparte, con nombres y apellidos de los autores y sus diferentes datos de contacto: teléfono, fax y eventual dirección de e-mail. El título podrá sufrir, por necesidades de espacio, pequeñas variaciones de redacción.

n Resumen:

Deben ser de 250 palabras y comprender, en forma discursiva, los siguientes subcapíulos: objetivos, metodología, resultados y conclusiones para las investigaciones originales; En el caso de las actualizaciones de la literatura ya publicada, deben comprender: objetivos, datos, fuentes, selecciónde los artículos analizados y conclusiones.

n Palabras clave:

En la página del título deberán incluirse también las palabras clave, hasta un máximo de diez.

n Introducción:

Repasará de manera concisa las problemáticas en cuestión mediante una sucinta revisión de la bibliografía reciente y pertinente, el estado actual de los conocimientos y los fines y los objetivos de la investigación propuesta.

n Materiales y metodología:

Se realizará una descripción detallada de los materiales y las metodologías utilizadas. Si las metodologías son ya utilizadas por otros autores es necesario mencionar el trabajo de las que se extraen.

n Resultados:

Exponer de manera clara y concisa los resultados del trabajo, si fuera posible con un análisis estadístico detallado y con la ayuda de oportunas tablas y gráficos.

n Debate:

Recogerá los comentarios de los resultados obtenidos y las comparaciones con otros presentes en literatura. En el debate deberán estar presentes las virtudes y los límites de la metodología utilizada, la importancia de los resultados y sus cotejos clínicos, las hipótesis y las implicaciones futuras.

n Conclusiones:

Significación de los resultados y su aplicabilidad clínica.

n Idiomas:

Serán aceptados los artículos escritos en español y en inglés.

n Extensión:

Los artículos podrán tener una extensión mínima de cuatro mil palabras (4000) y máxima de ocho mil (8000). Las reseñas críticas no deben superar las mil quinientas palabras (1500).

instrucciones para publicar 78 eldentistamoderno octubre 2022

n Formato del texto:

El texto ha de enviarse en Word o rtf, con las tablas y gráficos elaborados con Office pegados en ellos. Además de pegarlas en el Word (rtf, odt...), las fotos y otros materiales gráficos deben enviarse aparte [siempre en la versión

n ORIGINAL

De la aplicación utilizada: Photoshop, PowerPoint, Acrobat, Excel...]. Las fotos y capturas deben ir en ficheros jpg, con una resolución de unos 300 ppp (para tener una idea, cada foto, ilustración o pantallazo en jpg debe tener unos 200 KB como mínimo). También se admiten ilustraciones en pdf (siempre con el fichero original pdf separado, y además pegadas en el Word).

Nota muy importante: Una vez pegadas en el Word (o rtf, odt...) las imágenes ya no pueden publicarse impresas en papel. Por ello no puede cumplirse el requisito anterior de enviar ficheros sueltos jpg a base de volver a copiar una imagen ya pegada.

n Vídeo:

Se aceptan películas con los siguientes requisitos: Formato: Flash vídeo; resolución: 640X480 pixel -24 frame/segundo; video mínimo: 750 kbit/sec; audio mínimo: 64 kbit/sec. Duración máxima 5 minutos. Los vídeos serán incluidos en la versión digital de la publicación.

n Envío:

Junto con el artículo, cada uno de los autores incluirá un breve curriculum con sus datos de contacto. El archivo original y sus adjuntos deben ser remitidos a la atención del editor de la revista y al correo electrónico: silvia.decastro@tecnipublicaciones.com.

ESTILO DE CITACIÓN: BMJ-NORMAS VANCOUVER

n Cuerpo del texto:

Aunque no es necesario en las Normas Vancouver mencionar al autor (es) cuando se hace una referencia en el cuerpo del texto, El Dentista Moderno, para evitar confusiones gramaticales o de redacción, prefiere que en la mayoría de los casos se mencionen los apellidos de los autores de los cuales se están tomando ideas, y después se inserte entre corchetes el número de la referencia completa que debe aparecer en el listado final del artículo. Por ejemplo: “Ortiz [1] presenta una metodología para el análisis de este tipo de problemas”. A propósito, todas las referencias que se incorporen en el cuerpo del texto deben relacionarse en la lista de referencias del final del artículo. Igualmente, en el listado de referencias no debe aparecer bibliografía que no se haya usado y citado en el texto (es decir, la correspondencia entre ambas partes debe ser exacta). Las referencias que se vayan incorporando en el texto se deben numerar por orden de aparición entre corchetes “Ortiz [1], Grothendieck [2], Gómez [3] “, y deben organizarse de esa forma en el listado final, no por orden alfabético. Por último, si una misma referencia se usa varias veces en el cuerpo del texto pero es necesario incorporar nueva información sobre el apartado del texto al que se refiere o alguna otra particularidad, se debe indicar luego del número de la referencia, así: “Ortiz [1, p. 84] o Ortiz [1, Fig. 16]”. n Listado de referencias:

El listado de referencias debe organizarse por orden numérico que se determina de acuerdo con la aparición de cada referencia en el texto (el primer autor o texto que se cita es el número [1], el segundo el [2] y así sucesivamente). A diferencia de otros estilos, como no hay una organización alfabética de las referencias por apellido, los nombres de los autores deben registrarse comenzando por el apellido y las iniciales de su nombre: “[2] Grotendieck A.”. A continuación, mostraremos el esquema de cómo se debe citar

un libro, un capítulo de libro y un artículo de revista, con algunos ejemplos para cada caso:

n Libro:

Apellidos AA. Título. # ed. Ciudad: Editorial; año.

[1] Gardner E, Simmons MJ, Snutad DP. Principies of genetics. 8th edition. New York: John Willey & sons; 1995.

n Capítulo libro:

Apellidos AA, Apellidos BB. Título del capítulo o la entrada. En: Apellidos AA, Apellidos BB, editores. Título del libro. Ciudad: Editorial; año. p. xx-xx.

[1] Prins R, Clarke RT. Microbial ecology or the rumen. En: Ruckebusch P, Thivend B, editors. Digestive physiology and metabolism in ruminants. 2a ed. Wesport,Connecticut: AVI Publishing company; 1980. p. 179-204.

n Artículo revista: Apellidos AA, Apellidos BB, Apellidos CC. Título del artículo. Título. Rev. Año; volumen(número): xx-xx.

[1] Corona M, Díaz G, Paez J, Ferré Z, Ramones E. Extracción y caracterización de pectinas de la corteza de parchita. Rev. Odont. 1996; 13(6): 785-791.

Las Normas Vancouver sugieren que las revistas que se citen en la lista de referencias aparezcan en su forma abreviada, por lo tanto El Dentista Moderno sugiere que se revisen los siguientes enlaces: http://www.erevistas.csic.es/especial_revistas/revistas54.htm http://www.metodo.uab.cat/docs/Requisitos_de_Uniformidad.pdf http://www.metodo.uab.cat/docs/Requisitos_de_Uniformidad_ Ejemplos_de_referencias.pdf

NOTA LEGAL

Las perspectivas o puntos de vista expresados en los artículos y textos que publica El Dentista Moderno son responsabilidad de sus autores y no comprometen en ninguna medida a la revista, a la Grupo TecniPublicaciones. Asimismo, el propósito fundamental de la revista es prestar un servicio a la comunidad académica y al avance del conocimiento en odontología, por lo que el proceso de selección del material que publica contempla aspectos académicos, editoriales y legales que son evaluados en cada caso para decidir sobre los manuscritos que se reciben. Supeditada a estos factores, la revista no está obligada a la publicación de ningún texto y podrá declinar su publicación en cualquier fase del proceso, si estima que no corresponde a su línea editorial o si contradice alguna de sus políticas editoriales. De igual forma, cualquier reclamación por parte de terceros en relación al uso de obras o extractos de ellas en un artículo o texto, será responsabilidad de los autores exonerando así al Grupo TecniPublicaciones.

REPRODUCCIÓN Y TRADUCCIONES

Si usted desea reproducir o traducir un artículo o texto publicado en El Dentista Moderno,o si desea solicitar autorización para que sea difundido por alguna página web o repositorio institucional,por favor escriba al correo electrónico de la revista (documentacion@tecnipublicaciones.com), a la atención de la directora de Documentación. Los textos publicados en la revista, no obstante, no requieren una autorización especial para que sean reproducidos parcialmente en textos académicos, siempre y cuando se citen adecuadamente, relacionando sus autores, año de publicación, volumen y número en el que fueron publicados originalmente. Cualquier otro tipo de utilización requerirá de la autorización previa y expresa de la Editorial.

79 eldentistamoderno octubre 2022

LAS PERSONAS QUE ESTÁN HUYENDO DE UCRANIA TE NECESITAN EMERGENCIA EN UCRANIA DONA AHORA EN Bizum – Código: 01151 ayudaucrania.com ES86 2100 2262 1802 0040 3932
Congreso AEDE Zaragoza Del 27 al 29 de octubre congreso.aede.info

Ofertas Especiales

HASTA EL 31 DE DICIEMBRE DE 2022

Surgic Pro2 MICROMOTOR QUIRÚRGICO PARA IMPLANTOLOGÍA

OPERABILIDAD - SEGURIDAD - CONECTIVIDAD

MODELO Surgic Pro2 LED

REF. Y1004195

Contenido:

• Unidad de control

• Micromotor con luz LED SGL80M

• Contra-ángulo óptico X-SG20L (Reducción 20:1)

• Pedal de control inalámbrico

• Tubo de irrigación (pack de 3) y otros accesorios

3.999€*

6.301€*

POTENCIA

Hasta 80 Ncm

MODELO Surgic Pro2

REF. Y1004196

Contenido:

• Unidad de control

• Micromotor sin luz SG80M

• Contra-ángulo SG20 (Reducción 20:1)

• Pedal de control inalámbrico

• Tubo de irrigación (pack de 3) y otros accesorios

2.999€*

4.773€*

* Los precios no incluyen iva. Ofertas limitadas hasta el 31 de Diciembre de 2022 o hasta fin de existencias.

Turn static files into dynamic content formats.

Create a flipbook
Issuu converts static files into: digital portfolios, online yearbooks, online catalogs, digital photo albums and more. Sign up and create your flipbook.