Equestrian Hub Magazine June 2024

Page 1

Show ring superstar Aspasia shines JUNE 2024 Nicole Tough The happy athlete Keep calm and carry on Feeding for a calm horse When should you give up? Charlie Brister explains

Targeted Nutrition for World-Class Performance

For over 30 years Kentucky Equine Research has continually developed innovative solutions to the health and nutritional challenges inherent in modern equine management. The results of studies conducted at its research farms, as well as advances in equine nutrition from institutions around the world, are applied and thoroughly tested in the creation of KER products.

Proprietary ingredients and science-based solutions characterise KER Targeted Nutrition. Top equestrians worldwide in a variety of disciplines know they can rely on KER to fuel world-class performance.

Discover science-based products or your closest retailer at ker.com

Developed by Kentucky Equine Research® World Leaders in Equine NutritionTM 1800 772 198 • advice@ker.com

Fiona

EQUESTRIANHUB.COM.A U | 3 Contents JUNE 2024 4 Contributors 5 Behind the Shot: Guy McLean 6 Hanging Tough: The happy athlete 8 Feature: When should you give up? 12 Vet Vibes: When a gelding is not a gelding Editor Amanda McWhinnie amanda@equestrianhub.com.au
Enquiries
Advertising
Todd 0414 760 067
Website equestrianhub.com.au Published by Equestrian Hub PO Box 13, Tintenbar NSW 2478 0414 760 067 info@equestrianhub.com.au equestrianhub.com.au Follow Equestrian Hub equesthub equesthub On the Cover Kristie Morrone and Standardbred show ring sensation Aspasia chalk up yet another win (Image by Vickiphotos).   14 Feature: Blood tests and diet 18 Life After Racing: Standardbred superstar 22 Nutrition: Keep calm and carry on 27 What we're loving: Stylish saddle pads 28 Property central 18 12 05 06
fiona@equestrianhub.com.au

OUR CONTRIBUTORS

Charlie Brister

Charlie is an all round horseman and trainer. Currently eventing at 3* he is developing a team of future international champion eventers. Riders of all ages and abilities participate in his coaching programs, and he's helped many riders achieve their goals. If some training days have you admitting temporary defeat, you'll find Charlie's article in this issue both thought provoking and helpful.

Amanda Mac As Equestrian Hub

Magazine's editor, Amanda’s two longstanding passions, one for horses the other for writing, come together perfectly. In this issue she had the pleasure of speaking with long-time Standardbred fan Kristie Morrone, who has been achieving outstanding results in the show ring with her superb Standardbred mare Aspasia.

Dr Clarissa Brown-Douglas

Kristie Morrone

Involved in the harness racing industry for over 25 years, Kristie enjoyed a successful training career, producing Metro & Group 1 winners. She is now at the forefront of the Standardbred showing scene, producing and showing retired Standardbred racehorses with great success in led, ridden and driving classes. Learn more about Kristie in our in Life After Racing article.

Nicole Tough

An EA Level 2 Dressage Specialist Coach and National A Level Judge, Nicole has over 30 years experience in training, competing, judging and coaching. She enjoys presenting seminars and masterclasses, has trained in Germany, Spain and The Netherlands, and has produced nine successful FEI horses. This month, Nicole explores the concept of the 'happy athlete' and what it means.

Clarissa has ridden all her life. Her career as an equine nutritionist has taken her around the world, working with horse owners, breeders and trainers to provide nutrition advice for their equine athletes. She is now a member of the Kentucky Equine Research team, and in this issue she offers expert advice on feeding your horse to help them stay calm and collected when they're out and about.

Dr Jennifer Stewart B.V.Sc., B.Sc., Ph.D.

With over 40 years’ experience as a veterinarian in mixed and equine practice, Jennifer’s special interest is equine nutrition. She was Senior Veterinary Officer with the Australian Department of Agriculture, Water and the Environment for 10 years, and for two years was Biosecurity Veterinarian with the ACT Government. In this issue, she discusses the dynamic between the blood and diet.

Fiona Todd

The publisher of Equestrian Hub Magazine, Fiona's fascination with horses has been life-long. Driven by a desire to inspire and inform all equestrians, she launched the magazine and its sister website to support everyone from competition riders to those who ride for pleasure, as well as for people, who, like Fiona, simply love horses and everything about them.

Michelle Terlato Michelle grew up with horses and has always loved them. When she’s not travelling the globe photographing the world’s top equestrian athletes, she’s home riding her own horses. It’s the behind the scenes and the unexpected shots that she likes the best, and in our Behind the Shot feature, she shares her favourites and explains what makes them so special.

4 | EQUESTRIAN HUB JUNE 2024

BEHIND THE SHOT

Guy McLean

One of Australia’s top equestrian photographers, MICHELLE TERLATO travels the world capturing equestrian athletes in action. Each month she shares one of her favourite shots.

Rider: Guy McLean

Event: 2023 Maleny Agricultural Show

Location: Maleny, Queensland

Camera & Settings: Canon EOS 1DX

Mark II 70-200mm lens ISO 200 f4.5 1/640 sec

Challenges: This was my first time at Maleny Show and I was not sure exactly where Guy’s display would be. It ended up being right beside the ring where I was, in a small area in front of the show jumps. I am a big fan of Guy’s but had not seen his show for a few years so I wasn’t exactly sure what he would be

doing or where he would do it. However being the professional showman he is, he played to the crowd and took his horses around to all angles for everyone to see. Then, because the action was so close, it was just a matter of trying to fit all four horses into the composition.

The day was bright but the sky was stormy and dramatic. The subjects were so close only the 70-200mm lens was required. This image I particularly liked as the horses are all cantering in time with one another, their heads are all at the same height and their ears all

tuned in to Guy's every word. With a bay, chestnut, palomino and black there was almost one from every colour range too!

Why this shot is special: If you have every witnessed one of Guy’s displays you will know why it is special. He and his horses are simply magical to watch. He has such an obvious connection with them and they are never in fear of him. They are soft and in tune with Guy and he with them. I first witnessed him win

The Way of the Horse competition at Equitana many years ago, and he had a certain manner about him then. Now, despite his fame, his work and travel in the USA, and his skills, he is still a down to earth, natural horseman and a proud Australian - and I love to photograph him.

Michelle is available for event, commercial and private shoots. Visit Michelle Terlato Photography to view her impressive portfolio

EQUESTRIANHUB.COM.A U | 5

HANGING TOUGH

Let's talk about the happy athlete
The happy athlete - what does that mean? NICOLE TOUGH unpacks the concept.

Article 401 in the FEI Dressage Rules states that: “The object of Dressage is the development of the Horse into a happy Athlete through harmonious education.”

Pre Facebook, this meant adhering to the scale of training regarding the development of our horses. Post digital revolution, with its increasing exposure, social media judgement, and spotlight on equestrians' social license to operate, and the term

‘happy athlete’ could do with more discussion.

The ‘happy athlete’ certainly seems a contradiction in terms. I’m sure if we could ask a horse, ‘would you like to chill in the paddock eating grass, or come to the gym and train?’, we know what the answer would be. Likewise, if we ask most humans, ‘would you rather sit on the couch watching Netflix, or go to the yoga studio and get comfortable in uncomfortable positions?’, we also know what the

answer would be. But is sitting on the couch better for us? Likewise, is a life of grazing, with their teeth and feet unattended, better for your horse?

Dressage is a sport of development, where we guide horses into the right frame with self-carriage; preserve the basic gaits and improve them by conditioning their bodies in a systematic way; and gradually increase load and intensity, allowing the horse to happily do their job - because they can.

Any athlete knows that to improve, comfort zones must be challenged, and training will produce stress. This is where limits are pushed, and excellence can be achieved. If we increase pressure and the movement improves – the horse was ready.

But whilst stress is needed for improvement, training should never cause distress. Distress can occur when the rider falls into the short cuts trap, and fails to condition the horse’s body. Without taking the time to improve suppleness and strength,

6 | EQUESTRIAN HUB JUNE 2024

the work becomes hard, causing reluctance and resulting in the rider using force. This creates an unhappy athlete. If we apply pressure to this horse, they will protest, evade and resist - in other words, they were not ready.

Perversely, people talk about ‘correct training’ as if it’s easy. But as international 5* judge Cara Whitman said: Dressage is easy, unless you want to do it well, then it’s really hard. And out of the love and respect we have for our horses, most of us are prepared to take the hard road. Getting a 600kg animal with a strong flight instinct to surrender their will to their rider is difficult enough in itself, compounding that with the demands of the dressage discipline, asking them to perform wondrous movements of grace in unfriendly environments, makes our sport challenging.

Understanding why dressage is hard is crucial to comprehending why horses resist. More than in other disciplines, the dressage horse is asked to accept

the restriction of the rein, engage the muscles of their topline and work through their body.

Each horse is born with a certain rideability and self-carriage, and the difficult part is understanding and accepting any limitations. Dressage training can improve any breed, but that doesn’t mean it should be the ultimate discipline for every breed. Whilst there is benefit in dressage training for all horses, forcing some to comply, go through the levels and be competitive, would not be in their best interest.

For people, hard work is a test. Ask any equestrian group: some turn up their noses, some don’t show up, and some roll up their sleeves. It’s the same with horses. Some are purpose bred with natural talent but lack heart, and some are not purpose bred, lack talent, but have the biggest hearts. I would take the horse with good character that wants to follow the aids of the rider, over the purpose bred talented, but unwilling horse any day.

However hard our sport is, creating a happy athlete should be our goal, more than ribbons and trophies. This goal requires the systematic training of the horse’s mind and body to enhance their strength, confidence and flexibility, using training methods that encourage and reward, guiding them to offer willing cooperation, and ultimately creating that sublime harmony between horse and rider.

For all dressage training, it is important to remember that horses are simple animals and can be overloaded with too much information. When life gets difficult, a horse’s instinct is to run away or evade. Breaking pieces of a movement down, and teaching those pieces one by one before putting it all together, will always serve the patient trainer well. Dressage training is simple aids repeated over and over, producing enthusiastic horses, content in their understanding, not afraid of making mistakes and willing to try. This is the ’happy athlete’.

EQUESTRIANHUB.COM.A U | 7
LEFT & ABOVE: Producing enthusiastic horses, content in their understanding, not afraid of making mistakes and willing to try. This is the ’happy athlete’ (Images by (L) Christy Baker Photography; (R) Courtesy Nicole Tough).

When should you give up?

Is there a point during training when you’d be better off admitting temporary defeat and changing your approach? CHARLIE BRISTER believes there is.

You’ve set a training task for you and your trusty steed. You hop out of bed that morning, get in a quick coffee or two, and out the door you go, bursting with enthusiasm.

But, on this occasion, your horse just isn’t feeling it. Slowly it dawns on you that despite your best efforts, you are not going to achieve a flying change on this occasion. And that 80cm

fence you’ve been working up to so successfully? Nope, not today.

What should you do? Do you just give it up and call it a day? If things aren’t working, giving up may mean giving up on that goal for the time being, and setting a less difficult task for your horse for that particular training session.

So, the short answer is yes, sometimes it is best to give up rather than keep pushing ahead. When you and your horse are struggling with a certain task, when it's all proving to be really difficult, or if your horse is getting confused, then it’s better to stop because they’re the kind of situations that can lead to things getting dangerous and potentially, to an accident.

But how do you tell the difference between your horse simply having a

8 | EQUESTRIAN HUB JUNE 2024
FEATURE

minor hiccup as opposed to recognising that this is not the day when you’re going to tick the box, whatever that box might be. It’s a good question, and it comes back to whether you have done the exercise with your horse before. If so, was it easy to achieve? Did you have a number of successful repetitions that might indicate the job was done and dusted?

For example, if you've successfully jumped 80cms many times before, and then suddenly you have a little mistake in the warm up, or something doesn't go well in your round, or during training, then it’s probably safe to say that the glitch was just an odd one out, so need to go back to the drawing board.

But if this is your first time doing 80cms and it isn’t going very well, then the smart choice may be to take a step back and switch direction with a few more confidence building 60cm rounds. And if you’ve had multiple failures at a certain level, then I'd say that in the short term, you’d definitely need to give some thought to temporarily stepping away from that goal altogether. It’s a far better option to go back to some basics and make it slightly easier for the horse, rather than pushing on in the face of failure. A well-timed reset will give your horse a chance to regain confidence before trying again.

But what if your horse is not going well and you decide to give up for the day, don’t you run the risk of reinforcing unwanted behaviour? That pretty much depends on how you handle the situation. Failing at 80cm then packing up your bat and ball and going home is never the ideal plan. Much better to drop the fences to 60cm or 75cm and go round again. In other words, you’ve gone back to something that's achievable for the horse – and that’s when you get those successful repetitions happening and begin to embed them. Stopping the cycle of failure and lost confidence by taking

a step back is not a cop out. It’s a way to build confidence, reinforce good patterns, and remind the horse that they can do it.

You see problems like this a lot in show jumping and cross country, but you also see it in dressage. It might be a particular movement that’s problematic for the horse, and if you are having repeated problems and you have to give up on that exercise, that’s when you need to ask yourself what the horse is lacking: is it their understanding of the aids, or their education, or is it their physical strength that’s preventing them from giving you the desired outcome. It’s very easy for a horse to lose their confidence, which is why you should be careful not to step too far up the

levels of difficulty too quickly, whether that’s dressage, jumping, or even trail riding. Going from a trail ride with one rider is very different to going on an endurance ride with 50 people, and expecting your horse to understand and be fully capable of dealing with the massive increase in atmosphere and environment.

Recently I was teaching cross country, and the horse had a serious problem with the ditch. Although it was an easy question and the horse was absolutely capable of doing it physically, they had a mental block and kept refusing. To break the cycle, I asked the rider to dismount, worked the horse on the ground and got them going over the ditch in each direction. When the rider got back on, the horse was happy to jump the ditch

EQUESTRIANHUB.COM.A U | 9
FEATURE
ABOVE & LEFT: Timmy Almighty took a long time to understand flying changes. But patience, and the occasional day when giving up was the only option, paid off when Annabelle Warren and Timmy won Medium Tour Freestyle Champion at Willinga Park.

ABOVE: Here I am demonstrating that some days you fly, and other days you should have given up much, much earlier.

without any pressure from the ground or the rider. Confidence restored!

On another occasion, flying changes were not going so well with Timmy Almighty, a horse I was training, so I gave up on that and went back to canter/trot/canter transitions, ensuring the horse stayed supple in the contact and straight through the body. And then we moved on to trot/canter/trot/counter canter while staying straight, then alternating between left and right canter transitions. So rather than battling away at flying changes and getting Timmy all worked up, we went back to some basics to remind him about rider leg positions and whether they meant a left or right canter.

Something else to consider with a horse that’s having problems of some kind is their age. Is this a four-year-old who is relatively new to being ridden and has a very shallow depth of knowledge and understanding? Is it a 12-year-old who’s quite experienced and has a depth of understanding that you can draw on if they make a little mistake?

In an older more experienced horses, a mistake is less likely to rock their confidence because they’ve probably had so many successful experiences.

But then again, if the horse is 22 years old and has started having problems, it may be a sign that they need to be checked over, or that they’ve had enough of being a sporthorse.

With a young horse, I’d be much quicker to go back a step and make things easier because they don’t have that confidence, whereas with a more experienced horse, assuming there hadn’t been a major disaster, I would probably be more likely to repeat the exercise.

Sometimes a horse will start to anticipate problems. They’ll start stopping before a particular jump, or get tense before a particular dressage movement, and that's a definite sign that you need to reset and go and do something different. For example, you’re wanting to get your horse into one specific corner of the arena, but they are convinced there’s a monster lurking there. At that point, recognise the horse isn’t listening to your aids, take them away from the corner into another part of the arena, and re-establish the understanding of the aids. Once they’re listening to you again and are going forward off the leg, they’ll start to gain more confidence in their environment and you can gradually star taking them back to the scary corner.

And if you’re beginning to wonder if your horse isn’t the right fit for your preferred discipline, enlist the help of someone with more experience. Often a rider will be too emotionally attached to the horse to be able to identify the cause of the problem, so seeking out an objective opinion, or even having a more experienced rider onboard, will help you decide whether or not that horse needs to find a different purpose in life, or whether they may blossom with a different style of rider altogether. But one thing that is for sure is that there’s no point keeping on keeping on in the hopes of a different outcome.

Keep in mind that even the best riders and the most experienced horses have days when things don’t go to plan. So be open to dialling down the pressure on you and your horse if things aren’t going well - you’ll both be happier for it. That doesn’t mean giving up altogether, it means recognising that consistency, patience and perseverance, and going back to basics when you need to, will get you there in the end.

Charlie Brister of Brister Equestrian is an all-round horseman with expertise in retraining problem horses and coaching riders in all disciplines. You can follow him on Instagram

EQUESTRIANHUB.COM.A U | 11
FEATURE

When a gelding is not a gelding

If you suspect your gelding may be a rig, seeking professional advice is a must. DR ELIZABETH BARTER explains why.

Arig or cryptorchid (a medical term literally meaning ‘hidden testicle’) is a male horse in which either one or both of his testicles have failed to descend into the scrotum. Visually, these horses may appear to be geldings, but their behaviour is

more like that of a stallion. Horses are sometimes known as a false rig or ‘cut proud’ if part of the epididymis (a portion of the testicle) has been left behind at castration. Rigs can be inherited and affected stallions may have decreased

fertility, and are not able to be registered with some breed organisations.

The recommended approach is for rigs to be castrated, but because of the nature of the condition, the procedure is more complex to perform, often requiring the horse to travel to a surgical facility.

Cause

In the male equine foetus, the testicles form high up in the abdomen next to the kidneys. As the foetus develops, the testicles are pulled down towards the inguinal canal (a passage in the abdominal wall) by the gubernaculum (a band of tissue), and from there descend into the scrotum.

Most colts are born with two testicles in their scrotum. Sometimes however, it is not possible to feel the testicles until they are 18 months old. Once a horse is two years old, if the testes are not palpable (cannot be felt) then the horse is considered to be a rig or a true cryptorchid. If the testicle or testicles

12 | EQUESTRIAN HUB JUNE 2024
VET VIBES

are undescended and do not reach the scrotum, they can be located anywhere from the inguinal canal all the way to the kidney. The failure of one testicle to descend is not uncommon, affecting approximately three to four per cent of male horses. Rigs more commonly occur in American Quarter Horses than in Thoroughbreds or in Arabians.

Inguinal retention

Inguinal retention, also referred to as ‘high flankers’, can occur in any horse. Temporary retention is more common in small ponies and the testicle may descend into the scrotum by the time the horse is two to three years old.

Acupuncture and human chorionic gonadotrophin (hCG) have been used in humans to promote testicular descent, but according to the reports, success with these approaches in horses has been variable.

Abdominal retention

Abdominal retention will more commonly affect the left rather than the right testicle. An abdominal testicle often fails to develop normally because of the abnormal environment and increased temperature inside the abdomen compared to the scrotum. This can lead to a small, non-fertile, and abnormally shaped testicle. The abdominal testicle can also be very mobile within the abdomen making them difficult to remove surgically.

Diagnosis

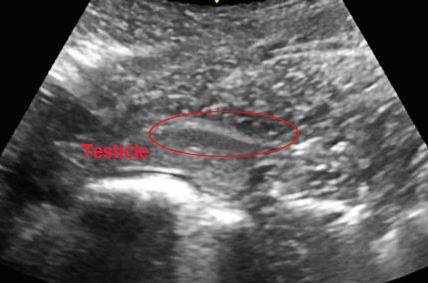
One of the first things your vet may do if they can’t find both testicles is to sedate the horse to see if all or part of the testicle can be felt in the inguinal canal. If the testicle cannot be felt, an ultrasound may be used to look for the testicle or testicles from the groin all the way up to the abdomen

Testicles can be tricky to locate and require a good ultrasound and experienced veterinarian. It may be safest to perform this procedure at a hospital with a crush facility in case a rectal ultrasound is also required to achieve a diagnosis. Locating the testicle is important, as its position will

ABOVE LEFT: Ultrasound of an undescended testicle (Image courtesy APIAM). LEFT: A rig may appear to be a gelding, but they behave more like a stallion.

change the surgical approach that is deemed appropriate.

There are several different blood tests that can be performed to look for testicular tissue, and which one is used will depend on the age of the horse. In older horses, a single blood sample is required. If the horse is less than two years old, two blood samples are needed.

The first sample is taken, then the horse is injected with human chorionic gonadotrophin hormone (hCG) to stimulate testosterone release. A second blood sample is taken 30 minutes to two hours later, and if testosterone levels are higher in the second sample, then the horse is likely to have some testicular tissue still present. Your veterinarian may still need to run multiple tests to increase the chances of making an accurate diagnosis.

Breeding

Cryptorchidism is inherited. This means that horses who are left as rigs are more likely to have colt foals who are rigs. Testicles retained in the abdomen at higher temperatures may be more likely to turn cancerous, although testicular cancer is rare in horses.

Additionally, horses with only one descended testicle (unilateral cryptorchids) have reduced fertility and are generally not able to service as many mares. Castration is highly

recommended for horses older than three years who do not have both testicles descended into the scrotum.

Treatment

Declaring that a horse is a rig is often a condition of sale and can affect breed registration. Rigs can also present owners with the increased cost of castration. A thorough examination is recommended to determine if the horse is a rig and if so, to locate the position of the testicle.

If only one testicle is present it is important to leave it until the undescended testicle is located. Removing the testicle in the scrotum without first locating the undescended testicle is unethical, and must be disclosed to new owners if the horse is sold.

The surgery to remove the retained testicle is more involved than a normal castration especially if it is within the abdomen. Testicles within the abdomen can be removed either by abdominal surgery (laparotomy) or by keyhole surgery (laparoscopy).

If you think your horse is a rig it is important to contact your equine veterinarian to discuss the options and to discover what treatment choices might be involved.

Dr Elizabeth Barter is a senior veterinarian at Apiam Hunter Equine Centre, in Scone NSW.

EQUESTRIANHUB.COM.A U | 13
VET
VIBES

The dynamic between blood and diet

imbalances may be present without any changes in blood levels, and for many nutrients, an excess or a deficiency has to be quite prolonged before it is reflected in the blood.

Does diet affect blood test results? Sometimes!

DR JENNIFER STEWART takes an in depth look at this interesting relationship.

Blood is the basic internal transport system for oxygen from the air and nutrients from the diet. The role of blood is to deliver nutrients to the tissues and once in the body, each nutrient has multiple roles.

Because the body tightly regulates levels of nutrients in the blood, a blood test doesn’t necessarily reflect the

Most nutrients are present in every tissue. The relationships between them and their various functions are complex FEATURE

total amount of a nutrient in the whole body, which may make finding simple relationships between blood test results and diet difficult. Deficiencies of protein, sodium, potassium, magnesium, phosphorus, copper, manganese, selenium, zinc and vitamins A, B1 and E can cause a decrease in their concentration in the blood. However,

The major electrolytes (sodium, potassium, chloride, calcium and magnesium) are involved in many processes, including those such as the regulation of breathing, heart rate, blood pressure, nerve transmission, muscle contraction and digestion. Because they are essential for life itself, blood levels are precisely controlled.

Other minerals and trace elements are high in specific tissues where they are stored or have major roles. Calcium and phosphorus are highest in bone; potassium in the brain, muscle and red blood cells; magnesium in muscle and bone; copper in the liver and kidneys; and manganese and zinc in the liver.

14 | EQUESTRIAN HUB JUNE 2024

and an excess or deficiency can affect several body systems and hence produce several symptoms (Tables 1 & 2). So, what are the odds of a blood test being useful for detecting imbalances in your horse’s diet? It depends on the nutrient! Blood can be tested for many different substances and there are a number of reasons your horse may have a blood sample taken: illness, monitoring response to treatment, and general health or fitness checks.

Blood tests & dietary imbalances

Can a blood test indicate dietary imbalance? The answer here depends on the mineral, hydration, time of day, time of feeding, diet, exercise and general health can all affect blood levels. With some minerals and electrolytes, a horse can have a normal blood level but be severely deficient or be excessively over-supplemented. The level of selenium is a good measure of extremes of intake, but measurement of the selenium-containing enzyme glutathione peroxidase is more accurate; blood magnesium is a good measure of nutritional status; while blood iron levels are not indicative of whole body status. Copper and zinc are also a little complicated because blood levels can be in the normal range even when the diet is excessive, and very low or very high levels can occur for reasons other than diet. In addition, high zinc intake can damage the gut biome without affecting the blood test.

Anaemia

The belief that anaemia is common in horses is widespread. A diagnosis of anaemia is based on blood tests, and low red cell parameters are often attributed to iron deficiency. But although a dietary iron-deficiency anaemia occurs in humans, it has not been reported in horses. Anaemia is not diagnostic of an iron deficiency because there are many other, more likely causes of anaemia in horses. Nutrient deficiencies in horses that can result in anaemia include vitamins E, B6,

BLOOD TEST RESULT DEFICIENCY EXCESS

Low albumin

Low protein

Low BUN

High bilirubin

High triglycerides

High sodium

Energy, protein, amino acids, vitamin A

Vitamin A

Energy or protein -

Protein

Vitamin K

Energy -

Energy -

Water Salt

Low sodium Salt

Vitamin K

High potassium Salt -

Low potassium

Potassium -

Low chloride - Vitamin K

High calcium - Vitamin D

Low phosphorus

Low magnesium

High AST

Phosphorus Phosphorus, vitamin D

Magnesium -

Selenium -

Low LDH Zinc -

Low PCV, Hb & RCC

Copper, vitamin A

B12, folic acid, copper and niacin. Diet is just one factor in the multi-step system of red cell production, which is also influenced by breed, sex, temperament, training and diseases.

Biochemical tests

Hundreds of tests can be performed on a blood sample, ranging from a simple count of red blood cells to a biochemical analysis of hormone and enzyme levels. These substances are used to assess specific organs, diseases, clinical conditions (such as insulin-resistance and PPID), or metabolic pathways and processes - but because they can come from more than one tissue, the results must be interpreted carefully.

Muscle and liver enzymes are synthesised from dietary nutrients. Because of this, diet indirectly affects muscle function, and elevated levels of the enzyme SGOT can be due to imbalances in B vitamins, calcium, essential amino acids, magnesium, potassium, vitamin E and selenium

Selenium, vitamin A

deficiencies. There are many varied reasons for elevated GGT, another enzyme, including insufficient dietary selenium, zinc and vitamins E and C, all of which result in oxidant damage and reduced immune function – which can cause changes in blood electrolyte, protein and white blood cell levels.

Because of the complex relationships between nutrients, hormones and blood levels, stress can lead to high sodium and low potassium – both may appear in the normal range on a blood test, but the pattern of upper range sodium combined with lower range potassium is characteristic of stress, cortisol and hormone changes – not to dietary intake. Selenium deficiency can be involved in thyroid problems, because selenium is required to convert thyroid hormones into active forms.

How about food allergies?

Some dietary nutrients can cause an allergic reaction – usually seen as lumps on the skin or gut problems. Allergies

EQUESTRIANHUB.COM.A U | 15
FEATURE
TABLE 1: Blood test results that can occur with nutrient imbalances.

to oats and bran have been reported to cause widespread hives on the head, neck, shoulder, ribs and flanks; and to corn, spectacular hives within 15 minutes. Blood tests that measure the immune response to a feedstuff (IgE) are available. It’s important to be aware that horses cannot be allergic to a food to which they have never been exposed. They need to actually be on the feedstuff when they show symptoms. If neither of these apply when you have the test done, the results are likely to be unreliable. A recent study in which 17 healthy ponies were tested three times, found ten tested positive to one or more food allergies in the first test, only three re-tested positive on the second test, and only one tested positive twice for the same allergy.

Dietary mineral and vitamin imbalances may occur individually or in various combinations. Symptoms of diet imbalances can affect several body systems and may lead to poor growth and development; muscle and bone conditions; abortion and retained placenta; foetal abnormalities; reduced immunity and increased susceptibility to disease; infertility; and poor skin, hair and hoof quality.

Diet evaluation

Evaluation of the diet is the easiest and best way to diagnose and correct many nutrient imbalances. Reliance on blood tests can be misleading and subject to errors. Using the results of a single blood test in the absence of a full history and comprehensive veterinary clinical examination is unlikely to shed much light on whether the diet or feed is contributing to any clinical or performance problems. The best protection against deficiencies is a diet analysis that goes beyond minimum recommended intakes and standard feeding guides. Mathematical calculations and generic spreadsheets don’t reflect the complexity of requirements for a wide range of veterinary clinical conditions.

SYMPTOMS DUE TO DEFICIENCY DUE TO EXCESS

Reduced feed intake

Weight loss or poor performance

Poor coat

Fatigue

Weakness

Lameness

Stiffness

Hoof Problems

Diarrhoea

Constipation

Colic

Dehydration

Excess licking

Dirt eating

Water, phosphorus, electrolytes, zinc, vitamins A, D & B1

Energy, protein, calcium, phosphorus, electrolytes, selenium, zinc, vitamins A, D, E, B

Protein, iodine, phosphorus, zinc, vitamins A & D, oil

Potassium, selenium, vitamin A, amino acids

Magnesium, vitamins B1 & E

Calcium, phosphorus

Selenium, vitamins E & B1, calcium

Protein, biotin, essential amino acids, zinc

Fibre, selenium

Fluorine, vitamins A & D

Fibre, zinc, vitamins A & D

Selenium, iodine, vitamin A

Selenium, vitamins A & K

Sodium, selenium, vitamin A

Selenium, fluorine

Selenium, fluorine

Selenium, excess grain in diet

Grain, selenium, sodium

Sodium -

Fibre, magnesium

Grain, sodium, vitamin K

Water, sodium -

Sodium, potassium, chloride -

Sodium, chloride, phosphorus, protein, zinc, copper -

Excess urine - Sodium, vitamins D & K

Blood in urine - Vitamin K

Muscle tremors

Convulsions

Reduced immunity

Anaemia

Excess tears

Magnesium, vitamin B1 -

Vitamin A

Magnesium, vitamin D

Selenium, vitamin A Iron

Vitamin A, amino acids, copper, zinc

Vitamin A, selenium, zinc

Vitamin A -

Pitted teeth - Fluorine

TABLE 2: Symptoms that may occur with some nutrient imbalances.

Dr Jennifer Stewart BVSc BSc PhD is an equine veterinarian, CEO of Jenquine and a consultant nutritionist in Equine Clinical Nutrition.

All content provided in this article is for general use and information only and does not constitute advice or a veterinary opinion. It is not intended as specific medical advice or opinion and should not be relied on in place of consultation with your equine veterinarian.

EQUESTRIANHUB.COM.A U | 17
FEATURE

Standardbred show ring superstar

Standardbred mare Aspasia was simply not cut out for a career on the track, but as AMANDA MAC learned, she is an undisputed star in the show ring.

The daughter of a Western Australian pacing family, Kristie Morrone has been involved in the harness racing industry for over 25 years. During that time, she successfully trained

multiple winners including a Group 1 winner, also turning her talents to showing Standardbreds with great success.

A self-confessed late comer to riding, she reckons she was around 15 when

she started. “I grew up with trotters, so it wasn’t a thing to be riding, it was more working the horses in the cart. But I had a friend with horses, and I used to go to her place and started riding there, just pottering around in the paddocks and going out on trail rides.”

But by the time she was 18, a chance comment became the catalyst for an unforeseen change of direction.

“Because Dad was a trainer, I always helped him out and worked the horses.

Then one day a girl I was working with suggested taking a couple of the horses to a breed show. So we did. We went to our first show, not knowing what we were doing, and that’s how the show bug started.”

After showing some of the family Standardbreds in hand, Kristie began

18 | EQUESTRIAN HUB JUNE 2024
LIFE AFTER RACING

taking riding lessons to improve her style, eventually progressing to ridden classes in her early twenties.

Although she had trained horses with her dad for some years, by the time she was in her mid-twenties she’d decided to get a license of her own. “I trained one or two horses at a time. I did that for a few years and had some success with it,” she says, “but I stopped training altogether about three years ago.”

It was while she was still training Standardbreds for the track that her interest in showing kept growing. “We’d take some of the racehorses out to shows every now and then and it transitioned from there," she explains.

And right now, an ex-trotter named Aspasia is Kristie’s star show ring turn. “Over the years, I have shown

some very successful Standardbreds at the highest levels, which has given the breed a better profile. Aspasia is certainly following in their footsteps.”

Aspasia’s back story is interesting. Sired by Rich and Spoilt, a local stallion with a notable pedigree who had done very well on the track, her mother, My Lady Of The Night, was one of what was at the time an influx of New Zealand Standardbreds brought to Australia to race – and she collected eight wins, 14 placings, and prize money of just over $57,500 before being put into foal.

So Aspasia sported some impressive bloodlines, and it was the possibility of training her for a successful racing career that prompted Kristie’s decision to buy her at the 2018 yearling sales.

The filly was duly broken in and Kristie began training her “She made it through

to trials, but she was one of those horses who couldn't be told what to do. She had everything going for her; she was a beautiful pacer, and she had the speed and stamina, but she was quite happy to run along with the other horses, rather than to pass them or to run away from them,” Kristie says.

After a short spell, Aspasia was due to go back into work when she injured her hind leg, so it was decided to give her additional time off to allow the injury to heal. But while she was spelling, Kristie decided to take Aspasia, who was in great condition, to a show, where she won Supreme Standardbred, “I thought, oh well, there's a second career if she needs it.”

Not one to push any horse into doing something they weren’t suited for, it was not long after that Kristie decided to bow

EQUESTRIANHUB.COM.A U | 19
ABOVE: (L) Winner of the 2020 State Championship as a 3-y-o (Image by Sherri Wightman Photography); and (R) Kristie was sponsored by Off The Track WA in 2019 (Image by Scott Hamilton Photography). LEFT: Winning Champion Race Cart at the 2021 State Championships (Image by Vickiphotos).

to Aspasia's complete lack of interest in the track, and all plans to race her were abandoned. At around the same time, she decided to stop training trotters, and focus on Plan B, starting her selfopinionated little mare on a career in the show ring - and it was there that Aspasia found her true calling.

However, Aspasia has turned out to be an expensive show horse who still owes Kristie a dollar or two: “Most trotters are free off the track or pretty cheap to buy, but she cost me quite a bit of money, and even with what she’s won in the show ring, she's still a little bit behind,” she laughs.

But Aspasia’s show ring results certainly soothe the pain of her purchase price! Among her lengthy list of successes is winning Supreme Led at the WA DualCode Spectacular three times. At the Perth Royal, she was Champion Led Mare in 2023 as well as in 2022, when she won Champion Ridden at the same show. For four consecutive years, as

a three, four, five and six-year-old, she was declared Supreme Led at the WA State Championships. She was also Supreme Led at the WA Scorecard Showdown in 2023 and again in 2024, when she also won Supreme Ridden. Then there have been three Supreme of Supreme Exhibits of the Show against all breeds, and a Supreme Ridden at the 2023 WA State Championships. And let’s not forget scooping Champion Harness Horse in the open carriage classes at both the Perth Royal Show and the WA Carriage Driving Championships.

After working with Standardbreds her entire life, Kristie has no problem recommending them as a particularly versatile breed that you can do a lot with. “They're very compliant and they always try their hardest. They're generally pretty easy to keep and wellbalanced without a lot of baggage,” she says. “They're much sturdier than a lot of other breeds, and much better

temperament-wise as well,” she adds.

So, what’s next on the agenda with Aspasia? “Given that she competed in her first Royal last year in carriage driving, I’d like to do more of that with her over the next couple of years, and also a bit more under saddle, possibly doing a little bit of jumping, which she’s already tried and seems to enjoy.”

And that brings us to Kristie’s final point: which is that over time, the breed has developed in interesting ways. “These days you can get some really stunning Standardbreds; well-built, tall, athletic. Basically, you’ll find a Standardbred to suit any purpose. So, there's definitely plenty of upside to them, and if you can get the right bond with the horse, they will do anything for you.”

You can’t help but think it won’t be long before Aspasia has more than paid Kristie back, and is showing a healthy return on what's turned out to be a highly successful investment.

20 | EQUESTRIAN HUB JUNE 2024
ABOVE: Kristie and Aspasia, the 2022 Perth Royal Show Champion Ridden Standardbred (Image by Vickiphotos).

HIGH FIBRE COOL ENERGY FEED

HARNESSING THE POWER OF SUNFLOWER SEEDS, AN ALL NATURAL SUPERFOO D

Omega Feeds has formulated a palatable, high fibre, low starch feed that contains a balanced blend of vitamins and minerals to ensure optimum health and vitality. No-Grain Gold is suitable for ponies, spellers and horses in light to medium work.

High Fibre: For gut health and cool energy.

Non Pelleted: Horses spend more time chewing which stimulates saliva production and in turn buffers the stomach and protects it from ulceration.

Low Starch: Reduced risk of digestive upsets and metabolic conditions.

Balanced blend of vitamins and minerals: For optimum health and vitality.

100% Australian, proudly supporting Australian farmers

EQUESTRIANHUB.COM.A U | 21 Need nutritional advice? Visit our EQ Health Hub and ask our expert.
omegafeeds.com.au | SUPERFOODS FOR BRILLIANT RESULTS

Keep calm and carry on competing

Is your horse more anxious than you on show day?

Equine nutritionist Dr Clarissa Brown-Douglas has some strategies to help create a calmer competitor.

There is no one more focussed than an equestrian preparing for a competition! From getting entries in on time, to learning tests and ensuring gear and horse are sparkling –and there is nothing more disappointing when, despite all the hard work, your

horse is a bundle of nerves on show day and can’t perform at their best.

This is an all too common occurrence with riders frequently turning to nutritional supplements to help. But, as with most things in life there is no quick fix and modifying behaviour in stressful

environments is more about preparation and careful management than expensive supplements.

Behaviour and Nutrition

Despite the many products on the market designed to calm horses, there is surprisingly very little published research linking behaviour modification to nutrition, which is likely due to the fact that it is extremely difficult to study. That being said, there’s a lot of anecdotal evidence that nutrition affects behaviour, particularly with regards to energy sources and feeding management.

If you have a spicy pony, chances are you already know that choosing feeds high in fibre and fat is preferable to non-structural carbohydrates (NSC) such as cereal grains. But energy sources are only one piece in the puzzle. When assessing behavioural problems, equine nutritionists will take into consideration what is being fed as well as how its being fed.

22 | EQUESTRIAN HUB JUNE 2024
NUTRITION

Diets for all horses should be predominantly forage, consisting of at least 1.5% of body weight in hay, chaff and/or pasture. Most performance horses should receive good quality grass hay or a combination of grass and lucerne, while those who tend to get excitable and hot would benefit from lower sugar, higher protein hays such as grassy lucerne.

Additional cool calories can be provided with highly digestible super fibres such as beet pulp and soy hulls, as well as fats and oils, including stabilised rice bran and vegetable oil, which provide slow release and tractable energy. Good doing horses should be offered lower energy fibre sources, such as low-sugar grass hay or stalky lucerne, rather than less hay. Another golden rule with energy is feed according to the workload – over-fed and underworked horses need to expend that energy somewhere!

In addition to energy, the diet needs to be nutritionally balanced for vitamins

and minerals. Many behavioural issues are a result of nutrient deficiencies or imbalances. The best way to assess for any deficiencies is through diet analysis, which involves calculating the daily nutrient intake of all components of the horse’s diet, including assessment of forages.

Generally speaking, provided adequate hay is offered, a good quality commercial horse feed or a vitamin and mineral feed balancer fed at the recommended daily intake should cover most nutrients apart from salt. Salt (sodium chloride) should then be offered at a rate of 5-10g/100kg body weight.

Anxious and reactive behaviour can also be a result of pain and discomfort, so ensure that you rule out dental issues, injuries, and saddle, bit and bridle fit. Digestive upset can also impact your horse’s behaviour. Gastric ulcers and hind gut acidosis are two significant conditions that should be investigated in

behaviourally reactive horses. Nutritional strategies to avoid and prevent digestive issues include feeding adequate roughage, avoiding long periods of time without food, ensuring that meal sizes are less than 2.5kg, ensuring that cereal grain has had some level of processing and cooking to assist digestion, and providing gastric support supplements such as gastric and hindgut buffers, yeasts, and probiotics. Riders often report a more placid, calm horse once digestive issues are addressed.

Calming Supplements

Supplements for behaviour and calming will usually provide one or two nutrients designed to top up a diet which might be deficient. Common ingredients in calming supplements include magnesium, thiamine (vitamin B1), and tryptophan, as well as a vast array of herbs. While some of these ingredients may affect behaviour in nervous or overexcited animals, much of the

EQUESTRIANHUB.COM.A U | 23
NUTRITION
TOP: Diets for all horses should be predominantly forage, consisting of at least 1.5% of body weight in hay, chaff and/or pasture. LEFT: Mary Nitschke and Astronomical showing that with adequate exposure, training and correct diet, you should have a horse able to regulate their behaviour when out and about (Image by Amy-Sue Alston).

Apiam’s equine veterinary credentials are well-founded with a growing number of purpose-built dedicated Equine Vet Clinics and Referral Hospitals located in Victoria, New South Wales and Queensland, working alongside our network of mixed practice clinics in delivering quality equine veterinary care.

Scenic Rim Veterinary Service

Beaudesert QLD

Agnes Banks Equine Clinic

Agnes Banks NSW

Hunter Equine Centre

Scone NSW

Victorian Equine Group

Bendigo VIC

Gippsland Equine Hospital

Maffra VIC

Southwest Equine Veterinary Group

Warrnambool VIC

Find out more by visiting the Apiam Animal Health website & view the equine product range on Country Vet Animal Supplies

EQUESTRIAN HUB JUNE 2024
Healthy animals – happy people APIAM.COM.AU APIAM.COM.AU COUNTRYVET.COM.AU

evidence for these products is anecdotal due to a lack of scientific study.

Another school of thought is that many of these supplements work on the placebo theory of treating the rider more than the horse, which certainly isn’t a bad thing provided they cause no harm!

Thiamine (Vitamin B1)

Thiamine or vitamin B1, plays a vital role in carbohydrate metabolism and nerve transmission. It is water soluble and not stored in the body, however in healthy horses, intestinal bacteria produce thiamine through microbial fermentation, which the horse can then utilise. Horses on high-grain, low-forage diets, or hard-working horses may have reduced production of thiamine by intestinal bacteria due to stress or hindgut acidosis. Supplementing thiamine may reduce anxiety by assisting the maintenance of nerve function, especially if stressed or on low forage diets.

Magnesium

Magnesium is an important mineral for horses and has a role in muscle and nerve function. Horses that are deficient in magnesium may show signs of spooky and excitable behaviour and may suffer muscle tremors or cramping. However, magnesium deficiency is rare because grass and hay normally contain sufficient magnesium to meet the horse’s requirements. While research in this area is lacking, some studies report magnesium added to an already balanced diet can positively influence behaviour in horses during stressful situations, while other studies have shown no positive effect. A Canadian study examining a combination of thiamine and magnesium administered 30 minutes before a stressful event resulted in reduced heart rates when compared with unsupplemented horses.

Tryptophan

Tryptophan is an essential amino acid used in production of serotonin. Serotonin modulates mood and emotion. Low levels of tryptophan are linked to anxiety and depression in rodent studies. Despite equine calming

supplements containing tryptophan, there is no scientific evidence for its efficacy in modifying behaviour in horses. In fact, several studies report low doses of tryptophan administered orally to horses caused mild excitement, while high doses reduced endurance capacity and caused acute haemolytic anaemia.

Herbal supplements

A plethora of herbal calming products are available for horses, which contain myriad herbs including valerian root, camomile, passionflower, hops, ashwagandha and many others. Herbs, however, should be approached with caution. Firstly, there is very little science to support the use of herbs in horses, with many of the recommendations made by herbalists based on research and experience in humans or another species. Also, check the competition regulations for your discipline or breed of choice, as additives may be listed as prohibited substances. For example, valerian commonly used as a calming agent in many herbal preparations, is banned by most sporting disciplines.

Competition Day

Assuming you have done your homework, with adequate exposure and

training, and an appropriately balanced diet, you should have a horse able to regulate their behaviour when out and about. To reduce stress on competition day, it’s advisable to arrive early and allow your horse time to settle into the environment. Bring familiar feed, and water from home to ensure they stay fed and hydrated, and always have hay available for them to pick throughout the day. And by all means try a calming supplement, but don’t rely on it!

Behaviour is influenced by a horse’s age, breed, training, previous experiences, state of health, skill level of the handler, proximity to other horses, and factors such as whether or not the wind is blowing, and the presence of giraffes in trees! Calming supplements, while commonly used are generally a band aid approach for a bigger problem. Ensuring your horse is fed a balanced diet with plenty of good quality fibre, low NSC energy sources, and balanced for vitamins and minerals allows you to then focus on all the other aspects that contribute to anxious and reactive behaviour.

Visit Kentucky Equine Research and Equinews™ for information on all equine nutrition related topics.

EQUESTRIANHUB.COM.A U | 25
NUTRITION
TOP: Nutritional strategies include choosing lower starch energy sources such as fibre and oils.

Style it up with saddle pads

Give your inner stylist free rein with these glorious colours and tech-savvy designs.

PSoS anatomically shaped saddle pads with ruffle binding and the iconic PS quote along the spine, have extra space at the withers and unique stop-cushions that keep the pad in place under the saddle. The Quick-Dry underside is anti-bacterial, while the surface is dirt-repellent.

Horseware’s Signature Dressage Pad has easy clean pads with high-tech fabrics for breathability. Moisturewicking keeps your horse comfortable and features include contoured wither clearance, a reinforced girth patch and a D-ring tab for security.

Part of Eskadron's Classic Sports collection, their all-purpose saddle pad features a luxury satin top with cool-dry underside, ESK anti-slip silicone, and generous Eskadron Quilting for your horse’s comfort. Elegant lurex piping completes the look.

The CA by Lami-Cell Performers Saddle Pad is an anatomically cut show jumping pad that’s both breathable and durable. Finished with a CA badge and made with a polyester upper and Quick-Dry lining, the pad features 300g Synthermax® polyfil and 5mm high-density foam.

WeatherBeeta’s Prime Deluxe Jump Shaped Saddle Pad features soft suede outer fabric and wick-easy lining. Designed to work perfectly with a jump saddle, a contoured memory block sits in front of your saddle to prevent slipping without the need to attach tabs.

Fort Worth Contoured Saddle Pads look great and are made to last. Constructed with a non-slip base and ventilation holes for airflow, the durable top fabric is a natural cotton weave. The contoured design ensures a great fit and the clear spine channel provides spine relief.

EQUESTRIANHUB.COM.A U | 27
WHAT WE'RE LOVING
The Horseware Signature Dressage Pad available in four colours from Leader Equine The PSoS Dressage Pad Diamond Ruffle from Equestrian Hub in a range of colours and all heavily discounted. CA by Lami-Cell Performers Saddle Pad from Trailrace. Eskadron Classic Sports Satin Contrast All Purpose Saddle Pad from Ashbree Saddlery. WeatherBeeta’s Prime Deluxe Jump Shaped Saddle Pad from Horseland in a range of colours. The Fort Worth Contoured Saddle Pad from Greg Grant Saddlery is big on comfort and durability.

PROPERTY

Genuine lifestyle opportunity

Located at 751 Gnangara Road, Lexia Western Australia, this property is tailor made for the serious equestrian.

It’s not often that a property of this calibre becomes available. Set up with full agistment facilities, the property includes 29 brick and iron stables, over 20 lush, fully reticulated day paddocks with shelters, a round yard and crush, a full size and fully lit arena, tack and feed rooms, and hot and cold water wash down facilities.

And with direct access to over 30,000 acres of pine plantation, your own private trail rides are on your doorstep.

A magnificent, as new, two-year-old Redink ‘Stockman’ home is the property’s centrepiece. Clever design throughout makes this house a real haven. Coupled with the huge dining and sumptuous lounge areas, an expansive open plan

kitchen with quality stone benchtops makes entertaining a breeze. The outside patio features an insulated ceiling and creates a spacious area for you and your guests to relax and enjoy the ambience of this delightful estate.

The home features four bedrooms and two bathrooms, as well as a sumptuous master bedroom with a more than

28 | EQUESTRIAN HUB JUNE 2024

generously sized bathroom and walk in robe.

A spacious theatre room, plus an office keeps the amenities for work, leisure and play all under one roof. A great example of new age eco-friendly living, the house is powered by solar panels and serviced by a 70,000 litre rainwater tank. Ducted air conditioning throughout the home

guarantees all year-round comfort.

The property includes a four bedroom, 1.5 bathroom cottage, great for setting up a business, or accommodating friends and family; eight dog kennels; and two lined steel sheds with cement floors, both with 3 phase power. One is approximately 300 sqm with five roller door access, the other approximately

A full size, floodlit arena is just one of the quality equestrian facilities on this property.

250 sqm with two roller doors.

Situated for easy access to the Tonkin, Reid, and Mitchell freeways, this property has all the right attributes for multiple income streams and the beginning of an exciting lifestyle change for you and your family.

Visit the listing on Horse Property, or contact Mark Hay on 0477 333 450

EQUESTRIANHUB.COM.A U | 29
The spacious modern kitchen makes entertaining a breeze. As well as tack and feed rooms, there are 29 brick and iron stables.

Equi-Jewel®

Equi-Jewel® is the ideal conditioning supplement to increase body condition, topline, and coat quality in breeding horses, performance horses, and horses being prepared for sale.

Equi-Jewel is a high-fat, cool-energy supplement that provides a safe source of calories for horses requiring a lowcarbohydrate diet or horses that are intolerant to grain due to tying-up or gastric ulcers.

Equi-Jewel contains KER BMC™, research proven to double the acid-buffering capacity of the stomach, which moderates stomach pH and reduces the risk of gastric ulcers. KER BMC also increases the buffering capacity of the hindgut by 54% to promote improved digestion and feed utilisation.

Learn more about Equi-Jewel at ker.com

Developed by Kentucky Equine Research® World Leaders in Equine NutritionTM 03 8562 7000 | ker.com Nutrition Consultation Service 1800 772 198 | advice@ker.com
Research-Proven to Support Body Condition and Gut Health

Turn static files into dynamic content formats.

Create a flipbook
Issuu converts static files into: digital portfolios, online yearbooks, online catalogs, digital photo albums and more. Sign up and create your flipbook.
Equestrian Hub Magazine June 2024 by equestrianhub.com.au - Issuu