Zootecnica International - World's Poultry Journal - English edition - 07-08 July-August 2024

Page 1


Antibiotic alternatives in broiler production: feed additives

FAO Meat Market Review: overview of global market developments in 2023

Case report: histomoniasis in broiler breeder pullets

Feeders Gió: the originals without grill

Specifically developed for great poultry farms, thanks to the easiness in the regulation of the feed and to the absence of grill (that avoid chicks perching) have many advantages: they are easy to use and their cleaning is extremely easy and fast too, leading to an overall reduction in labour costs.

for the rearing phase (first 30 days of life) for the growing phase (no anti-waste ring)

EDITORIAL

The start of summer heralds the return of the much-feared final exams, a crucial milestone for thousands of young people as they pave the way for university studies or other future endeavours.

Among this year’s assigned topics, the one on digital life, encompassing selfies and blogs, stands out as the perfect subject for those immersed in the constant and inextricable blend of virtual reality and real life.

The Internet has become a significant part of young people’s lives, enabling them to engage in activities that were once confined to the real world. Social profiles are meticulously curated to present an image to friends and new contacts that often diverges significantly from one’s true identity.

Selfies capture moments, situations, and moods, and their publication often stems from a desire for self-exhibition, sometimes reaching obsessive and extreme levels.

Blogs enhance self-narration, documenting the stages of one’s day with emotions, sensations, suggestions, and opinions, all with a distinctively chronicling spirit.

All this encapsulates the overwhelming centrality of the Internet, with its unique rituals, liturgies, and customs. Reflecting on the need for a so-called digital culture, it is essential to delve into the word “culture” to uncover its profound meanings.

Decades of Breeding for Welfare and Sustainability

Would you like to learn more about how we are selecting for welfare and sustainability?

Find out more

Explore our Decades of Breeding for Welfare and Sustainability by scanning the QR code or entering the link bit.ly/dbws-report

AVEC publishes groundbreaking study on the costs and implications of the European Chicken Commitment in the EU

The Association of Poultry Processors and Poultry Trade in the EU Countries (AVEC) has published a new study analysing in depth the additional costs and likely implications of adopting the European Chicken Commitment (ECC) in the EU.

Numerous companies across Europe, spanning from retailers to restaurants and catering businesses, have already signed up to the ECC, a framework of standards promoted by animal welfare NGOs, which aims to enhance animal welfare and exceeds current EU legislation. The ECC commits its signatories to apply several requirements such as the use of slower-growing chicken breeds, a lower stocking density, the use of enrichment tools etc, to 100% of their (fresh, frozen and processed) poultry supply chain by 2026. As ECC compliance progresses, crucial questions regarding its environmental implications and its effects on chicken meat production remain unanswered. To shed light on these issues, AVEC has commissioned a comprehensive impact study examining the potential consequences of fully transitioning from current EU chicken meat production to ECC standards, conducted independently by RSK ADAS Ltd (ADAS) – a consultancy firm specialising in agriculture.

“The unique aspect of this study lies in the emphasis placed on calculating costs per kilogram of meat, unlike previous research focused solely on the consequences for live birds or liveweight, which doesn’t accurately re-

flect market realities since we sell meat, not live animals”, states Birthe Steenberg, AVEC’s Secretary General

Jason Gittins, Technical Director for livestock at ADAS, explains further: “Due to differences in meat yields between standard and ECC production, earlier studies often underestimated the true impact of switching to ECC standards”. The “Costs and Implications of the European Chicken Commitment in the EU” study finds that fully transitioning to ECC standards would result in:

• an additional production cost of 37.5% per kilogram of meat;

• a 35.4% increase in water consumption, equating to an additional 12.44 million cubic meters annually;

• a 35.5% increase in feed consumption, amounting to an additional 7.3 million tonnes;

• a 24.4% rise in greenhouse gas emissions per kilogram of meat produced;

• a reduction of 44% in the total meat produced compared to standard production methods at present in existing EU growing space (>30kg/m²);

• and the necessity to construct 9,692 new poultry houses, with an estimated cost of €8.24 billion, to maintain current production levels.

These effects on production would inevitably lead to higher prices that could exclude a large part of consumers from buying chicken meat or drastically increase imports from third countries with lower animal welfare standards. AVEC’s President, Gert-Jan Oplaat, emphasises the importance of consumer choice and informed decision-making: “While the ECC aims to improve animal welfare, it is crucial to recognise that these improvements come with significant economic and environmental implications. Knowing that EU poultry consumption is predicted to grow in the EU in the next 10 years, consumers should have the choice to select higher welfare products if they wish, but it’s crucial that standard, affordable options remain available”

AVEC reaffirms the EU poultry sector’s dedication to continuous improvement of animal welfare in balance with economic and environmental sustainability and highlights the need for alternative methods to enhance animal welfare without imposing undue financial burdens on consumers or exacerbating environmental concerns. The association advocates for the development of output-based animal welfare indicators, grounded in scientific and objective criteria to assess welfare performance, effective farm management, comprehensive farmer training and a framework that incentivises and encourages progress through realistic and achievable objectives for producers.

“Sustainability necessitates a delicate balance between its three pillars, and while improving animal welfare is paramount, it is also important to take the economic and environmental impact into consideration,” concludes Birthe Steenberg. The EU poultry sector remains committed to delivering high-quality, accessible chicken meat produced under the highest standards in the world. We

IT’S WHAT YOU DON’T SEE THAT SETS US APART

Cost of production (eurocents) for standard and ECC production per bird. Source: AVEC, “Costs and implications of the European Chicken Commitment in the EU” Project no. 1011059 - Report prepared by RSK ADAS Ltd, March 2024

encourage consumers and policymakers to consider the study’s findings to make informed decisions about chicken production standards.

To find out more and download the full study: https:// avec-poultry.eu/resources/cee_adas_study/

Source: AVEC

B.U.T. Premium

A B.U.T. Premium egg is the start of something special. It’s the beginning of a well-bred and developed poult that will deliver top-performing results aimed at enhancing your bottom line. And with high productive performance, exceptional welfare, enhanced liveability and improved FCR, B.U.T. Premium is your best choice for top profits.

For more information about our entire range, visit www.aviagenturkeys.com

Our top-performing birds deliver direct to your bottom line

SPACE 2024 - At the hearth of farming

The themes of the next SPACE Expo, which will take place from September 17 to 19, 2024, confirm this positioning and ambition: 1,200 exhibitors will welcome nearly 100,000 visitors from over 120 countries to the Rennes Exhibition Centre.

The 2024 calendar is marked by the European elections. Agriculture plays a major role in this area, and is the subject of much debate. Given the development of production in other parts of the world (USA, China, Russia and India), Europe must tackle numerous new challenges: balancing the growth in agriculture required to feed its citizens and trade with other countries, while meeting environmental expectations and targets for reducing its carbon footprint.

These three days will be dedicated to the evolution of agriculture and animal farming in all its diversity. The products presented by exhibitors, the numerous conferences and debates, the events and presentations at the Espace for the Future will provide practical solutions to important economic, climatic, societal and environmental issues.

SPACE serves as an observatory for French, European and international agricultural policy and provides its participants with solutions and ideas to help them achieve their goals, thanks to all the technical expertise, innovations and conference debates on offer. SPACE also

paves the way for the future by continuing to focus on the new generations, their projects and their interactions with working farmers.

Nearly 1,100 businesses are registered (1,085 at the end of May), 327 of them international. 150 are new exhibitors. These companies from all over the world will share their expertise and innovations to inspire and open up new perspectives for animal farming professionals.

The poultry sector will have a strong presence, with Halls 10 A and B dedicated to this industry. The pig sector also has a strong presence in Halls 7 and 8. Hall 9, where the animal nutrition sector is located, is unable to accommodate all exhibitors due to space constraints. The cattle sector will also be very well represented, with suppliers of milking equipment, machinery, buildings and materials for dairy farmers.

The conference programme will be full and varied again this year based on the room reservations. The extent of the topics covered makes SPACE an absolutely unique meeting place for the animal farming industry.

Till 23 silos in one complete truckload

Till 40 silos in 1x40’ O/T container

Fiberglass silos: the most practical, effective and durable solution to any bulk storage requirement

Agritech s.r.l. Via Rimembranze, 7 25012 Calvisano (BS) Italy

Tel. + 39 030 9968222 r.a. Fax + 39 030 9968444 commerce@agritech.it www.agritech.it

Aviagen Rustic Gold receives RSPCA approval

Rustic Gold joins other slower-growing breed options in qualifying for the European Chicken Commitment.

Aviagen ® is proud to announce that its Rustic Gold™ bird has been accepted for use under the highly respected RSPCA Assured animal welfare scheme. The Rustic Gold is the latest addition to Aviagen’s Rowan Range ® of slower-growing and coloured breed options to be awarded the accreditation, alongside the previously approved Ranger Gold ® and Ranger Classic ®. With a mix of brown and white plumage, the slower-growing Rustic Gold brings a balance of outstanding welfare and performance, combined with strong feed efficiency.

To be accepted under the widely recognised RSPCA Assured standard, chicken breeds are evaluated by an independent organisation. Various welfare outcomes are assessed to ensure breeds demonstrate the highest welfare outcomes.

Breeding for welfare and sustainability

Aviagen European Director of Research and Development, Dr Brendan Duggan explains: “Both our conventional and slower-growing breeds are selected for health, welfare and sustainability characteristics as part of our balanced breeding approach. Aviagen continues to work closely with the RSPCA and other organisations

across Europe as we continue to enhance welfare across our entire choice of breeds.”

Importance to UK and European market

RSPCA approval has great significance, not only for the UK, but also for the wider European market. With RSPCA accreditation, the Rustic Gold joins the Ranger Gold and Ranger Classic in qualifying for the European Chicken Commitment (ECC) as a result of the outstanding welfare of the breed.

Breeding choice

Aviagen offers a diverse range of breeds to give customers choice in the markets in which they serve. Aviagen European President Patrick Claeys comments: “We are delighted that the Rustic Gold is being recognised within the RSPCA Assured standard. In addition to its excellent welfare outcomes, this ECC approved breed also provides a strong economically viable option for the slower-growing market with advantages in meat yield and feed efficiency.”

Recognising breed development

Kate Parkes, RSPCA chicken welfare expert, said: “We are delighted that Aviagen is commit ted to higher animal welfare by developing a range of breeds that are suitable for use within the RSPCA Assured scheme. The development of the Rustic Gold breed means more chickens are able to live bet ter, healthier lives, and this also benefits the industry by providing producers and consumers with a greater choice. We know there is demand from consumers for higher welfare products so we hope this step will mean even more people can choose to buy higher welfare chicken.”

BREEDAZA THE RATIONING SYSTEM FOR BROILER BREEDERS AND LAYERS

Leader in livestock feeding systems

ADJUSTABLE ANTI-COCK GRID

NO OBSTACLE INSIDE

EASY ACCESS TO FEED

System designed for equal, controlled and immediate distribution throughout the line.

The obstacle-free linear trough feeder allows an easy access for the animals which can easily spot the feed.

Easy cleaning and no residual feed inside the trough.

Lubing Pad Climate: a cool environment for healthy animals

Lubing Farm cooling technology makes the most of the characteristics of water to create highly efficient climate systems for poultry, rabbits and pig farms. A cool environment, with the right humidity percentage and low airborne dust, is essential for raising healthy and robust animals.

The Pad Climate consists of a structure where a series of evaporative pads, made of paper or plastic, are mounted to cool and humidify the air passing through them. The structure must be mounted adjacent to the house, in a position opposite to the fans.

How does it work?

The water in the lower gutter is pushed upwards by the pump to the upper distribution

pipe; this element sprays the water onto the deflector, which distributes it evenly over the top of the evaporative panel.

As the water flows down the corrugated surface of the evaporative cooling pad, it wets it completely, and then flows back into the bottom gutter where it is pumped up again by the pump.

The water passing through the evaporative pad absorbs the heat in the air, cooling and humidifying it at the same time. Thanks to

COMPANY

this natural cooling system, we will have cooler and more humid air inside the house, without adding external energy to the system.

Plastic pad

Pad cooling systems are well known for cooling and humidifying poultry houses and greenhouses, but plastic pads are relatively new. The most common question is whether plastic pads can produce the same level of air cooling as traditional paper pads. In short, the answer is yes. With the LUBING plastic pads, which is made of polypropylene and is much lighter, the same cooling and humidity results are achieved as with paper pads. But the difference lies in the fact that much less energy is required for forced ventilation! The special arrangement of the solid surfaces and mesh structures (patented design) ensures ideal water distribution through the panel with less pressure loss than with paper pads. This allows for proper wetting and less splashing, resulting in high cooling capacity, especially in hot climate regions. The use of high-strength polymer sheets in combination with thermal welding guarantees maximum stability and a long service life. In addition, plastic pads can be easily cleaned with a high-pressure cleaner without damage. This significantly increases the service life compared to paper pads. In addition, the use of UV-stabilizing additives guarantees exceptional resistance to the sun’s rays for years. The requirements for water quality are very low.

Advantages of the Pad Climate system

• For evaporative cooling of poultry - pig houses and greenhouses.

• Excellent cooling capacity – patented design: the special layout of solid surfaces and mesh structures ensures perfect water distribution all through the Pad.

• This allows perfect wetting, less splashing water, and therefore excellent cooling capacity.

• Easy to clean: the use of welded, highly resistant polymer sheets allows the Plastic-Pad to be cleaned without difficulty and without damaging the Pads. Our panels can be cleaned with a high-pressure cleaner at 120bar

• Long service life: the use of polymer sheets in combination with thermal welding guarantees best stability and a long service life.

• Lowest pressure loss: the plastic panel has a low-pressure loss. At an air speed of 1.5 m/s, the pressure loss of the plastic pad is only 10 Pa compared to 25-30 Pa for paper pads. Due to the low-pressure loss, the plastic pad minimizes energy consumption at the fans.

• High UV resistance: the use of UV-stabilizing additives ensures outstanding UV resistance for years.

• Light‐ proof: the geometry of the plastic pad blocks light.

• Chemical resistance: the plastic pad is made of Polypropylene. This material is highly resistant to most chemicals.

• Similar efficiency (70-75% basic): with the difference that, over time, that of paper worsens while, thanks to the patented lattice, that of LUBING pads improves due to the formation of deposits that increase their exchange surface area.

• Weight: LUBING plastic panels are much lighter than paper panels.

• Hygiene: plastic panels do not absorb, so they do not then release unpleasant odors.

Supporting good leg health in broilers

When building a house, the foundation is the most critical part. If the structure of the concrete is compromised, the walls won’t be stable, leading to wall cracks. Similarly, the skeleton represents the foundation of the body, and the bones must be strong to support the entire body, particularly the muscles.

Strong foundations for good health and welfare outcomes

To build the best foundations, consider the characteristics of bone development:

• Mineralization takes six times longer during the first 10 days (first week) than any other period of the broiler’s life.

• Compared to 40 years ago, modern broilers grow twice as fast, and breast meat yield has doubled. However, mineralisation has kept the same pace as a few decades ago. New concepts,

such as a higher phosphorous level at an early age, can help bone mineralisation and improve bone strength.

• Mineralisation in fast-growing broilers is imperative to support muscle mass as trauma can lead to microfractures. Unfortunately, microfractures can be challenging to diagnose and are typically not detectable through necropsy or X-rays. In humans, such conditions are commonly diagnosed through MRI or CT scans.

Animal welfare plays a role in preventing lameness which includes:

• Handling – The drop distance in the hatchery during unloading and at the farm should be less than twice the bird’s height (maximum of 15 cm).

• Location – Place birds to ensure good feed and water intake. Check brooding temperature, cloacal temperature, feed intake (40 g/bird), and water quality and availability.

• Strategy - A stable floor promotes better recovery and does not aggravate bone injuries, promoting movements essential for bone development. Consider that the experimental model to reproduce Bacterial Chondronecrosis with Osteomyelitis (BCO) experimentally is a wire floor.

Some causes of leg issues

• Infectious diseases including Bacterial Chondronecrosis with

DOSSIER

Osteomyelitis (BCO) caused by Enteroccus caecorum, E. coli, or Staphylococcus. Vertebral OsteoArthritis (VOA) caused by Enterococcus caecorum. Femoral Head Necrosis (FHN) caused by Enterococcus caecorum , Staphylococcus, or E. coli. Viral arthritis and Mycoplasma infections can also impact leg health (Figure 1).

• Splayed legs, from 10 to 20 days old, can occur due to excessive heat at the end of hatching and rough handling in the hatchery, at placement, or transportation.

• Nutritional issues causing rickets, subclinical rickets, or Tibial Dyschondroplasia can also impact leg health, but the diagnosis relies on checking the growth plates for lesions. Note that subclinical rickets are challenging to diagnose, and histopathology may be helpful.

• Leaky gut due to compromised tight junctions caused by feed quality or diseases. In this

Figure 1 – Issues that can potentially impact leg health according to age based on field experience. Dashed lines indicate unusual occurrences at that age. Solid lines indicate ages at which the leg issue is usually seen. All birds shown in the figure are examples of good leg health.

case, pathogens take over the commensal bacteria (this is frequent after coccidiosis outbreaks or necrotic enteritis, heat stress). As a result, pathogens (viruses, bacteria) and toxins can freely cross the gut barrier. Bacterial translocation leads to bacteriemia and can increase susceptibility to infections, especially at the distal part of the bones (BCO, VOA, HFN).

Nutritional points and pillars of excellent mineralisation

• Calcium (Ca) and phosphorus (P) are the macro minerals involved in bone mineralisation and development. The general level of calcium in broiler feed is around 0.65% to 0.95%, and available phosphorous (AvP) is around 0.36% to 0.58%. Young birds require higher levels of Ca and AvP in the feed for bone mineralisation. The major sources of Ca and P that are widely used are limestones and rock phosphate (MCP: Mono calcium phosphate, MDCP: Mono di calcium phosphate and DCP: Dicalcium phosphate). The imbalance of calcium and phosphorus in the diet can reduce the absorption efficiency of both and impact bone development.

• Vitamin D is a fat-soluble vitamin that promotes calcium and phosphorous absorption. The level of vitamin D3 in broiler feed is around 4000 to 5000 KIU/kg feed. Vitamin D is converted to D3 by the liver and the kidneys (Figure 2). If the broiler has liver or kidney issues, it can impact

vitamin D3 metabolism and, in turn, calcium and phosphorous absorption.

• Phosphorous is released by the digestion of phytate which is found in plant ingredients. Enzymes supplemented in the feed are required to release the phytase. In its native form, phytate can bond with other nutrients including calcium and amino acids rendering them unavailable for absorption (Figure 3). About 60 to 70% of phosphorus is in the phytate form, making enzyme supplements necessary to release the phosphorus for absorption.

Figure 2 – Center diagram: Calcium blood levels are controlled by hormones (Parathyroid Hormone (PTH) and Calcitonin). When blood Ca levels are low, PTH simulates the absorption via the kidney and bone stores are also released. When blood Ca levels are high, calcitonin is produced. The kidneys reduce reabsorption and excrete excess. Calcium can also be stored in the bones. Vitamin D, ingested with feed, can be processed through the liver and kidneys to the active form D3 . The activation of Vitamin D requires Magnesium. Vitamin D3 increases gastrointestinal absorption of calcium (4). Inset top left: Calcitonin increases the uptake of magnesium. Inset bottom right: Vitamin D3 increases the renal sorption of phosphorus, while parathyroid hormone decreases renal reabsorption.

Other potential points affecting the mineralisation

• Heat stress reduces feed intake as broilers consume less feed during heat exposure to reduce metabolic heat production. Not only is feed intake reduced, but it also increases the respiratory rate. The increased respiratory rate can decrease blood carbon dioxide and increase blood pH (alkalosis), decreasing blood-ionised calcium. Heat stress also suppresses the immune system making the bird susceptible to diseases that can cause lameness. Moreover, heat stress also reduces the synthesis of vitamin C in broilers. Vitamin C is a water-soluble vitamin that is involved in vitamin D metabolism.

• Mycotoxins are the potential factor that can reduce nutrient use. Some mycotoxins can damage the liver interfering with vitamin D metabolism. Since D3 promotes Ca uptake, a reduction in D3 can, in turn, reduce Ca uptake.

Monitoring programs are critical to ensure strong foundations

Quality assurance (QA) and Quality Control (QC) in feed mills are the systems to ensure that broiler feeds contain the correct formulation.

The monitoring program must begin from incoming raw materials until finished feeds are delivered to the farm.

• Mycotoxins – Monitor risky ingredients for mycotoxins monthly.

• Vitamin premix and phytase enzymes - Check the certificate of analysis (COA) in every incoming lot.

• Oil sources - Check for rancidity to prevent deterioration of fat-soluble vitamins in feed.

• Ca and P - Ca and P should be monitored in every lot of incoming ingredients, particularly limestone and rock phosphate. The different sources of rock phosphate also have different levels of available phosphorus. In general, MCP has higher available phosphorous than MDCP and DCP should be monitored regularly.

• Phytase - Uniformity and recovery (particularly powder phytase) should be checked.

• Mixer efficiency - Testing must be scheduled at least once a year, and % CV should be less than 10%.

• Calcium/Phosphorus ratio. The ratio should be around 1.6-1.7 (Ca=0.96% & Ph=0.58%).

• Applying welfare recommendations, ensuring optimal feed and water intake, preventing heat stress and stable floors.

• Focusing on disease prevention and good management at the hatchery and farm.

Antibiotic alternatives in broiler production: feed additives

Tom Tabler, Department of Animal Science, University of Tennessee

Victoria Ayres, School of Agriculture, Tennessee Tech University

Pramir Maharjan, Department of Agricultural and Environmental Sciences, Tennessee State University

Jessica Wells, Jonathan Moon, Jorge Urrutia, Department of Poultry Science Mississippi State University

Numerous attempts are being made to replace antibiotics with alternatives such as prebiotics, probiotics, toxin binders, phytogenics, enzymes, oligosaccharides, synbiotics, organic minerals, organic acids and other feed additives. These alternatives do not lead to deleterious disturbances of the gut flora, are not absorbed from the gut into tissue and do not cause drug resistances. These feed additives also can enhance performance and have little therapeutic use in veterinary medicine.

FOCUS

Feed additives

Feed additives are nonnutritive natural products added to the basal diet as minor components of the diet to improve feed quality and food from animal origins and to improve animal performance and health. In addition, they promote ingestion, absorption, nutrient assimilation and growth of animals by affecting physiological processes such as immune function and stress resistance. It has been reported that feed additives could be used as antibiotic alternatives in broilers to reduce mortality rates and enhance performance without jeopardizing the environment and consumer health.

Numerous feed additives have been tested on poultry, particularly the phytogenic feed additive groups, which include essential oils, herbal extracts, organic acids and others such as probiotics, prebiotics and enzymes. Humans have used plant products to naturally treat ailments for centuries. Plant products were also used in animal feed in early cultures. Interest in using phytogenic feed additives has increased in recent years as the poultry industry has shifted to more antibiotic-free and “No Antibiotics Ever” (NAE) production programs. Of 422,000 types of flowering plants, about 50,000 are used for medicinal purposes around the world.

Phytogenics

Phytogenic feed additives (PFAs) are plant-origin extracted compounds that are, according to Madhupriya et al. (2018), natural, less toxic, residue-free feed additives compared with synthetic antibiotics and include a wide range of substances (herbs, spices, essential oils, oleoresins and botanicals). Typical examples of phytogenic feed additives include rosemary derivatives, oregano, thyme, sage, garlic, horseradish, clove, cinnamon, citrus, chili, cayenne, pepper, peppermint and anise. An increasing body of evidence supports that supplementation of phytogenic feed additives in broiler diets improve intestinal functions, increase nitrogen retention and fiber digestibility, enhance growth performance, reduce inflammation, and improve antioxidative and antimicrobial activities. Taken together, these results seem to indicate that PFAs have beneficial effects to improve performance and broiler health.

A wide range of plants and their products fall under the PFA category, and, based on their origin, they can be classified as herbs (flowering, non-woody, non-persistent

“Plant products were used in animal feed in early cultures. Interest in using phytogenic feed additives has increased in recent years as the poultry industry has shifted to more antibiotic-free and 'No Antibiotics Ever' (NAE) production programs. Of 422,000 types of flowering plants, about 50,000 are used for medicinal purposes around the world”

plants from which leaves and flowers are used) or spices (non-leaf parts of plants, including seeds, fruits, bark or roots with an intensive taste or smell). They can be used in solid, dried or ground form or as extracts (either crude or concentrated). Essential oils are any class of volatile oils obtained from plants that possess the odor and other characteristic properties of plants and are used chiefly in the manufacture of perfumes, flavors and pharmaceuticals. Several plant extracts have proven to have beneficial properties on growth performance, and, through a carryover effect, on improved carcass characteristics and meat quality, along with immune responses in poultry. The primary bioactive compounds of the PFAs are polyphenols, and their composition and concentration vary according to the plant, parts of the plant used, geographical origin, harvesting season, environmental factors, storage conditions, and processing techniques. Numerous plant-based compounds are widely used today as alternatives to antibiotic growth promoters in poultry diets because of their ability against certain bacterial infections. For example, cinnamon oil can limit and control the growth and colonization of several bacteria in the intestines by unsealing and disrupting their cell membranes, leading to the disintegration of the cells.

Cinnamaldehyde from cinnamon oil can be used to balance the microbial population in poultry to enhance their intestinal health because they can selectively inhibit the growth of commensal and pathogenic intestinal bacteria. A wide variety of herbs and spices (e.g., thyme, oregano, rosemary, marjoram, yarrow, garlic, ginger, green tea, black cumin, coriander and cinnamon) have been used in poultry diets in recent years for their potential application as antibiotic alternatives. In contrast, several other PFAs such as grape pomace, cranberry fruit extract, Macleaya cordata extract, garlic powder, grape seed extract and yucca extract tested as growth promoters did not show and effects on performance parameters.

Organic acids

Organic acids have been used in animal feeds for several years because of the ban on the use of antibiotics and are considered effective antibiotic alternatives. Organic acids are weak acids that have a carboxylic acid group (R-COOH), nutritional values and antimicrobial effects in animal feed. Inclusion of organic acids in broiler diets has been shown to improve protein and carbohydrate digestibility, fight against pathogenic bacteria, and enhance the feed conversion rate, nutrient utilization and growth rate of broilers. The most commonly used organic acids in broiler diets are acetic, butyric, citric, formic, lactic, malic, propionic and tartaric acids.

Diets that lack high protein quality have more indigestible proteins reaching the gastrointestinal tract (GIT), resulting in high protein fermentation. This causes discomfort to the animal and negatively affects growth rate because of high-volatile fatty acids and production of ammonia

and other gases. Organic acids help to acidify the GIT environment and improve nutrient utilization. They suppress pathogenic intestinal bacteria due to their antimicrobial activity, resulting in less bacterial competition for available nutrients, lower levels of harmful bacterial metabolites, improved protein and energy digestibility, and improved avian performance.

Organic acid supplementation affects the histological structure of the GIT, resulting in increased villus length; improving the absorptive ability of the intestinal mucosa, which leads to better nutrient absorption; maximizing nutrient utilization; and improving growth performance. Like other antibiotic alternatives, despite the demonstrated beneficial effects, using organic acids to improve performance lacks consistent results. This can be attributed to various factors including inclusion rates, source of the organic acids and the buffering capacity of other dietary nutrients.

Enzymes

Feed enzymes are used to improve feed efficiency, reduce feed cost and create a better environment by reducing the volume of manure produced and phosphorus and nitrogen content excreted. Enzymes are biological catalysts that can speed up chemical reactions. All animals use enzymes to digest feed and supplementing the feed with particular enzymes improves the nutritional value of feed ingredients, increasing digestion efficiency. Enzymes are not new to poultry production and research regarding enzymes in poultry diets has been ongoing since the 1920s. The addition of exogenous enzymes has become the standard to improve digestibility and efficiency of nutrient utilization and are essential to the reduction of feed costs. When the price of feed ingredients increases, the use of enzymes in the feed becomes even more economically attractive and provides a more significant return on investment.

Phytase is one of the most important enzymes added to poultry feed. Poultry require dietary phosphorus (P) for maintenance and growth and an adequate amount must be included in the diet. However, a portion of total P in the diet comes from cereal grains and this P is in a form that poultry cannot digest. The majority of P, about 60%, is not accessible to nonruminants because it is associated with phytate. Phytate binds to many dietary cations resulting in serious reductions in nutrient availability. Phytase is an enzyme that hydrolyzes phytate to inosi-

FOCUS

High strength and quality materials

Excellent seal, zero water wastage, dry litter

Easy and fix regulation of min and max feed levels

Fast pan filling without any waste of feed

Avoiding the step in by the animals in the pan

Anti-UV and chemical resistance

Use a QR code scanner on your device to access our website.

corti_zootecnici
Corti Zootecnici
Corti Zootecnici’s Feeder

FOCUS

tol and inorganic phosphate, making P more available. Hydrolytic enzymes have emerged as feed supplements to improve digestion and absorption of poorly available nutrients, such as dietary phytate.

Synbiotics

Synbiotics are feed additives that combine the use of prebiotics and probiotics for a synergistic effect. Few research trials have been conducted to demonstrate the effects of synbiotics on broiler performance, but their use is based on the concept that a mixture of prebiotics and probiotics beneficially affect the host by improving the survival and implantation of probiotic organisms and by selectively promoting the growth or metabolism of beneficial bacteria in the intestinal tract. Like other antibiotic alternatives, the results when using synbiotics have been somewhat inconsistent. Some trials have shown significant improvement in performance, while others have shown no difference in performance. However, synbiotics have been shown to beneficially alter the intestinal microbiota composition and increase villi height and crypt depth in the intestinal mucosa. Therefore, much potential exists for using synbiotics in the future as antibiotic alternatives for improving performance and reducing pathogenic load in the intestines of poultry.

Prebiotics

Prebiotics are macromolecules that are either derived from plants or synthesized by microorganisms. A variety

of non-starch polysaccharides (NSP) or oligosaccharides have been considered as prebiotics, including mannan oligosaccharide (MOS), fructooligosaccharide (FOS), inulin, oligofructose, galactooligosaccharide, maltooligosaccharide, lactulose, lactitol, glucooligosaccharide, xylooligosaccharide, soya-oligosaccharide, isomaltooligosaccharide (IOS), and pyrodextrins. Mannan oligosaccharide, perhaps the most well-known prebiotic, is derived from the outer cell-wall layer of Saccharomyces cerevisiae and has been extensively studied as a prebiotic in poultry diets with favorable results. However, several characteristics should be considered when selecting a prebiotic, including resistance to a gastric acid environment, intestinal/pancreatic enzyme hydrolysis, and absorption across intestinal epithelium. The fermentation of prebiotics by microflora also leads to the production of short-chain fatty acids that act as an energy source for intestinal epithelial cells and thus maintain the integrity of the gut lining.

Probiotics

Probiotics, also known as direct-fed microbials (DFMs), like many other antibiotic alternatives, have gained greater acceptance as more integrators have adopted antibiotic-free production programs. Probiotics may contain one or more strains of microorganisms and may be given either alone or in combination with other additives in the feed or water. Numerous bacteria (Bacillus, Bifidobacterium, Enterococcus, Lactobacillus, Lactococcus spp.

FOCUS

and Streptococcus) and yeast (Saccharomyces spp.) have been investigated as probiotics in poultry with, for the most part, promising results. The majority of the research tested the effects of probiotics in reducing the numbers of pathogenic microorganisms in the GIT, although considerable research examined the effects of probiotics on improving growth and performance in poultry without disease. While numerous reports indicate performance improvements in poultry (broilers, layers and turkeys), some reports show limited or no growth- promoting effects. Possible explanations for this inconsistency could be related to differences in the type and dose of the strain used, processing variations, administration time and period, diet and the environment.

Not every probiotic strain is an ideal probiotic organism that can withstand processing and storage, survive in the gastric acid environment of the intestinal tract, adhere to epithelium or mucus in the intestines, produce antimicrobial compounds and modulate immune responses. Therefore, careful consideration is necessary when selecting individual strains or combinations that will produce maximum beneficial effect in vivo

Heavy metals

Heavy metals such as iron, manganese, copper, zinc and selenium play a vital role in growth and metabolism and are critical for many digestive, physiological and biosynthetic processes. In the past, heavy metals have been supplemented in animal diets in the form of organic salts such as carbonates, chlorides, oxides and sulfates, although chelated or organic forms have also been used recently.

The movement away from antibiotics and the increase in antibiotic alternative programs have seen the use of trace minerals to increase animal productivity and performance gain importance in recent years, and they are being substituted at levels beyond the recommended nutritional requirements. However, the use of metals in excess amounts raises environmental concerns in terms of their accumulation in soil and surface water. In addition, excess use of metals has been shown to develop metal resistance concomitant cross-resistance to antibiotics among enteric bacteria in farm animals.

Additional antibiotic alternatives such as hyperimmune egg yolk antibodies, bacteriophages, antimicrobial peptides and clay minerals are also receiving attention and

are being researched. A variety of alternative products coupled with good flock husbandry practices may eventually be able to replace a substantial portion of antibiotic use for disease prevention and growth promotion purposes, but this will require a comprehensive approach that considers antibiotic alternatives and best management practices as critical parts of a broader, overall flock health management program.

Summary

There is an increasing need for the development of antibiotic alternatives that can help improve performance and maintain optimal health of food-producing animals.

This is related to the rise in consumer demand for livestock products from antibiotic-free or NAE production systems. The recent ban on certain antibiotics in the feed has promoted increased use of phytogenics, organic acids, enzymes, synbiotics, prebiotics, probiotics, heavy metals and other alternatives in broiler production.

The primary effects provided by these alternative feed additives include enhanced digestion, improved nutrient availability, increased absorbability of nutrients, antioxidant activity, enhancement of gut integrity, improved intestinal health and modulating the host gut microflora. These differing modes of action indicate the possibility of symbiotic, antagonistic, synergistic or even combative effects between alternatives or other feed ingredients. In addition, even though the beneficial effects of many of the alternatives tested have been well documented, there is a general consensus that these products lack consistency, as results often vary greatly from farm to farm, complex to complex and company to company. Care should be taken in the selection of alternatives or their combinations, such that they match the needs of individual production programs.

Matching the correct alternative (or perhaps combination of alternatives) to the need, along with sound management practices, will be necessary to maximize performance, maintain productivity and reduce antibiotic use in the poultry industry.

References are available on request By courtesy of The University of Tennessee Institute of Agriculture and UT Extension

FAO Meat Market Review: overview of global market developments in 2023

The article is a summary of Meat Market Review, a product of the FAO Market and Trade Division of the Economic and Social Development Stream, prepared under the overall guidance of Boubaker Ben-Belhassen, Director. The report was written by Upali W. Galketi Aratchilage and Emanuele Marocco.

International meat prices

The FAO Meat Price Index averaged 114.7 points in 2023, down 4.0 points (3.4%) from 2022, with ovine meat prices registering the steepest drop (12.7%), followed by bovine meat (9.3%) and poultry meat (6.5%), while those of pig meat increased (10.8%). Much of the decline occurred in the second half of the year, principally reflecting abundant export availabilities from major exporting countries amidst subdued global demand.

Ovine meat prices registered the sharpest year-on-year decline, mainly due to elevated exportable supplies from Oceania amidst the region’s slaughter numbers running multi-year highs. International bovine meat prices weakened significantly in the second half of the year, underpinned by ample exportable availabilities from leading exporting countries,

especially in South America and Oceania. As for poultry meat, the decline in international prices mostly reflected abundant supplies due to higher production in importing countries, despite the negative impacts of widespread Avian Influenza outbreaks.

By contrast, the annual average value of international pig meat prices increased in 2023 due to the strengthening of prices from February through July, primarily attributable to higher production costs and outbreaks of animal health diseases that constrained exportable availabilities. However, pig meat prices registered steep drops in four months since August, reflecting subdued demand from leading importers, especially China, amid increased exportable availabilities in the European Union.

Trends in overall meat production and trade

Global meat production increased by 1.5% in 2023, to 371 million tonnes (carcass weight equivalent). Production of all meat categories increased, with much of the

expansion stemming from poultry meat, followed by pig meat, bovine and ovine meats. Regionally, Asia drove the global meat output expansion, reflecting increased pig meat production in China. Meat production also increased in South America, primarily concentrated in Brazil, and to a lesser extent, Oceania, notably bovine and ovine meats in Australia, with minor production gains in Central America and the Caribbean. These increases were partially offset by a large volume drop in output Europe, concentrated in pig meat, together with overall meat output drops in Africa and Northern America.

Considering production performance at the country level, notable production increases were registered in China, Brazil, Australia, Viet Nam and India. These increases were partially offset by significant production drops in the European Union, the United States of America (United States), the United Kingdom of Great Britain and Northern Ireland (United Kingdom) and Turkey.

In China, total meat production has expanded rapidly, growing by more than 4% compared to the previous year, rising to around 99 million tonnes, principally led by an increase in pig meat output, as the fear of widespread outbreaks of the African Swine Fever (ASF) virus drove larger than expected sales of animals causing a supply surge. In addition, rising sales of pigs by those farmers exiting the sector due to squeezed profit margins stemming from weak domestic prices and high input costs without a parallel increase in productivity also contributed to rising pig meat output in China. In Brazil, the rise in meat output mainly reflected an expansion in bovine meat, driven by increased slaughter of female cattle due to a fall in calf prices, and poultry meat that benefitted from favourable input costs and feed prices amidst ample supplies of maize at lower prices. Global demand was also a significant factor that drove meat output in Brazil, as the country’s commercial poultry farms remained free from highly pathogenic Avian Influenza (HPAI) virus despite detecting cases among wild birds. Australia’s meat production rose as the national herd reached its highest level in a decade, leading to high slaughter volumes. Drier conditions constraining pasture availability also led to a drop in herd rebuilding demand, lifting female cattle slaughter and ovine animals. In Viet Nam, meat production increased, reflecting a recovery in animal numbers, driven by proactive disease control measures implemented by the government, increased investment in the sector, farm consolidation, and lower feed costs. In addition,

“Global poultry meat output reached 146 million tonnes in 2023, up 1.9% yearon-year, continuing the production growth undergone for several years, with increases in production in all major regions except Africa. The most significant volume expansion occurred in Asia”

United States, driven by a decline in bovine meat production due to tighter cattle inventories and lower carcass weights caused by drought conditions and lower feedlot margins. Likewise, meat output declined in the United Kingdom due to a contraction in the national breeding herd amid rising input costs and in Turkey, reflecting a drop in poultry meat production due to high feed costs and HPAI outbreaks in the first half of 2023.

Regarding meat output by main categories, poultry production drove the overall expansion, followed by pig, bovine, and ovine meats.

Global meat trade contracted

higher demand for meat from the hotels, restaurants, and institutions (HRI) sector following a rebound in the tourism industry and economic recovery after the end of the pandemic also led farmers to sell more animals in 2023, resulting in meat production expansion. In India, increased meat production was led by poultry meat, driven by demand from urban consumers, households with higher disposable incomes, and changing food habits. Meanwhile, bovine meat (carabeef or buffalo meat) output grew for the third consecutive year, driven by higher internal and foreign demand.

Meat production declined in several countries, with the most significant drop in the European Union, with notable drops in the United States, the United Kingdom and Turkey. In the case of the European Union, a steep drop in pig meat production, caused by the continued impact of ASF outbreaks and high input costs, together with a fall in ovine meat output due to lower slaughter numbers and weights, outweighed a rebound in poultry meat production. A drop in meat production was also registered in the

Global trade in meat and meat products fell by 1.5% in 2023 to 40.5 million tonnes (carcass weight equivalent) in 2023. This decline was principally driven by a significant drop in imports by countries in South America and Africa, reflecting significantly lower poultry meat imports, and Europe, due to a contraction in pig and bovine meat purchases. Meat imports by Oceania also dropped, with much of the decline concentrated in pig meat imports. By contrast, Central America and the Caribbean registered meat import expansion, with increases across all meat types, but with a high concentration of poultry meat. Meanwhile, imports by Northern America and Asia remained broadly stable.

Regarding trade performance at the country level, Japan registered the largest volume drop in imports, followed by the Philippines and the United States, among others. In Japan, rising meat production and higher stocks led to lower meat imports; the import drop in the Philippines was also driven by higher inventories and an upturn in domestic output, despite extending tariff rates on pig meat imports until the end of 2023. In the United States, softer consumer demand, partly reflecting the increased inflation and lower purchasing power, was behind the drop in imports across all meat categories, except for bovine meat, which increased on lower domestic supplies. By contrast, meat imports increased in Mexico, Viet Nam, Malaysia and Canada, primarily due to rising national demand, and in Iraq due to tight domestic supplies. Meanwhile, after two years of import contractions, meat purchases by China, the world’s largest meat importer, remained stable on improved food services sales following the end of the country’s zero-COVID-19 policy. Still, growth continued to be limited due to higher-than-expect-

ed buildup of meat stocks and increased domestic production.

Much of the decline in the global meat trade in 2023 was reflected in lower exports from a few leading exporters, more prominently the European Union, Turkey, the United Kingdom, the United States and Canada, among others. In many cases, reduced exportable meat supplies or animal disease-related trade restrictions were behind the decline in meat shipments. Only several countries, most importantly Australia and Brazil, registered meat export expansions in 2023; they owed much of the increase to the competitive prices they offered in international markets amid rising exportable availabilities and animal disease-free status. In addition, India and Thailand also shipped more meat, especially poultry meat, reflecting higher export availabilities and increasing demand from Eastern Asian countries.

By meat type, global trade contraction was primarily concentrated in pig meat export volumes, which fell by 7.9%

(842 000 tonnes), together with drops in poultry (-0.4%), while global trade registered increases in bovine (+1.4%) and ovine (+12.2%).

Poultry meat

Global poultry meat output reached 146 million tonnes in 2023, up 1.9% year-on-year, continuing the production growth undergone for several years, with increases in production in all major regions except Africa. The most significant volume expansion occurred in Asia, where poultry output grew by around 1.5 million tonnes to nearly 58 million tonnes. Poultry meat production has also expanded in South America, Europe, the Americas, and Oceania. Much of the expansion was driven by higher consumer demand for poultry meat as an affordable meat product among many consumers worldwide amidst high food costs and decreasing purchasing power.

Despite the continuation of production expansion in vol-

HYGIENE’S GOT A NEW NAME

COMBIMASTER

The CombiMaster has, like all LUBING nipples, the animal age adapted flow rate.

• Increased wall thickness: the compact plastic body is still more resistant.

• Acid-resistant Material: the high-quality materials provide for highest stability and thus for highest functional safety.

• Hygiene Surface: the extremly smooth inner surface and the outstanding hygienical characteristics of the plastic material avoid deposits.

ume terms, the pace of growth slowed in 2023, principally driven by a decline in output in Africa, almost entirely accounted for by Egypt and South Africa. In Egypt, the shortage of hard currency constrained feed imports, which led to a steep rise in inflation. It also raised the scarcity of fodder and feed availability, leading to heavy losses to poultry farmers, inducing many small- and medium-scale farmers, who account for 80% of the country’s production capacity, to leave the sector, lowering poultry output. In South Africa, the decline in poultry meat output reflected the loss of birds due to HPAI outbreaks and disruptions to farming operations caused by extended interruptions to electricity supplies. Besides the decrease in production in Africa, poultry meat output expanded at a slower pace in Asia, reflecting higher feed costs and, in many cases, inadequate feed availability and breeding stocks. These factors, together with country-specific challenges, caused poultry output to drop significantly in Pakistan, Turkey and the Islamic Republic of Iran.

In Pakistan, insufficient volumes of soybeans on the market resulting from an import ban on genetically modified soybeans that lasted from October 2022 to November 2023, coupled with reduced imports of grandparent stock, lowered poultry production. Likewise, poultry meat production in Turkey reflected high production costs and weakened production capacity due to the tight availability of breeding materials amid devaluating currency and HPAI outbreaks in the early part of the year. Meanwhile, in the Islamic Republic of Iran, tight availability of feed drove a production fall.

Much of the increase in poultry meat production in 2023 was concentrated in China, Brazil, the European Union and India. China’s poultry meat production grew by over 4% year-on-year, underpinned by higher investments that increased the supply of domestically produced breeding stock. White broiler chicken production expanded the most on higher slaughtering, reflecting higher prices received in early 2023, which offset a decline in yellow broiler chicken production. Meanwhile, in Brazil, increased availability of feed, especially maize, lower feed prices and higher demand from internal and foreign markets, induced by the disease-free status of commercial poultry operations due to government investments in animal disease surveillance, encouraged farmers to produce more poultry meat. In the European Union, slightly lower feed and energy costs and higher internal demand contributed to poultry meat production growth despite the

continued impact of HPAI outbreaks. Poultry production also increased in India, facilitated by high investments in the sector amidst rising consumer demand. World poultry meat trade fell marginally in 2023 on increased domestic supplies stood at 16.1 million tonnes in 2023, down slightly (0.4%) from 2022. Except for South America, poultry meat exports declined in all regions. Asia’s shipments fell the most, followed by those from Northern America and Europe.

In South America, Brazil supplied more than 30% of global poultry sales in 2023, benefitting from disease-free status of the country’s poultry sector and competitive prices. The removal of antidumping measures by China against Brazil at the beginning of 2023 also resulted in a 24% increase in deliveries to the Asian country. Despite a regionwide fall, Thailand’s poultry exports increased to several Asian destinations, mainly China, offsetting declines in deliveries to Japan and the United Kingdom, two prominent poultry export destinations. China reported a slight increase in poultry meat exports, reflecting rising domestic production and exports of prepared poultry meat products. In addition, Ukraine exported more, benefitting from the extension of the provisional measures to suspend import duties on poultry meat imports granted by the European Union and the United Kingdom.

By contrast, poultry meat exports from the United States and the European Union, the world’s second and third largest exporters, declined due to reduced exports to China and African destinations, respectively. Substantial declines in exports were also registered from Turkey, Argentina and Chile, mainly due to HPAI-related challenges to export trade.

Regarding poultry meat imports, Mexico, Viet Nam, Malaysia and the Republic of Korea imported more poultry meat in 2023 due to high demand for lower-cost meat products and buoying HRI activities. By contrast, surging domestic production led to lower import purchases by Japan and Saudi Arabia.

FAO. 2024. Meat Market Review: Overview of global market developments in 2023. Rome This work is made available under the Creative Commons Attribution-NonCommercial-ShareAlike 3.0 IGO licence (CC BY-NC-SA 3.0 IGO).

The original document is available here: openknowledge.fao.org/handle/20.500.14283/cd0465en

Warm weather ventilation management

A poultry house ventilation system is arguably the most important management tool for a farm manager to use. As the birds grow and climates change the system needs to be able to adapt and cope with the changing demands to keep the birds in their comfort zone which ensures optimal biological performance.

During the periods of hot and/or humid weather, it is essential that we provide the birds with cooling. This will be provided through the “wind-chill effect”, which is created by air movement and evaporative cooling.

The only way to determine if the ventilation system is set correctly is to look at bird behaviour. Always use climate control systems as a guide and never the sole gauge of a turkey houses suitability for bird comfort. If bird behaviour indicates that changes to ventilation are required, those changes should be made swiftly to ensure birds are kept as comfortable as possible.

We need to remember that the actual temperature felt by the bird is influenced by relative humidity (RH). So, for a given temperature, if the RH is low, the birds will feel cooler than if the RH is high. A high RH reduces the bird’s ability to lose heat via evaporative loss or in other words “panting” so we must then lower the ambient temperature to account for RH.

Tunnel ventilation

Tunnel ventilation should be a secondary measure for when transitional ventilation is no longer keeping the birds in their comfort zone. In general, the exhaust fans are located at one end of the building and at the other end two large openings where the air is drawn in. When the tunnel ventilation is operating, air is drawn along the length of the house at speed. This air flow creates a windchill or cooling effect on the birds so that they feel a lower temperature.

It’s important to exchange all the air in the house frequently to minimise the heat build-up. If the air exchange isn’t on a frequent basis, then there will be a vast temperature difference between the front and rear of the house. Another problem of the air moving too slowly down the house is that it not only picks up heat but also contaminants like dust, ammonia and humidity.

To avoid this the system should be capable of exchanging all the air in the house within 1 minute. The equation to work out how many fans we would require is to divide the volume of the house by the air exchange time (1 minute).

Fan Capacity Required = Length x Width x Average Height Air Exchange Time (1 minute)

It won’t be necessary to exchange the air this quickly all the time but a ventilation system should be able to deal

with all weather conditions including the warm/humid temperatures during the summertime. It’s also important to note that if the temperature isn’t high enough to run at least half of the exhaust fans, then the transition ventilation should still be utilised.

Another area to consider when using tunnel ventilation is how quick the air will move (air velocity), as this provides most of the cooling. Cooling produced in this way is typically referred to as the “wind-chill effect”. It is hard to determine exactly what temperature a bird feels when the air moves at a certain speed as there are a lot of variables. However, designing a tunnel ventilation system to reach at least 2m/s of air speed, should give a rough ‘wind-chill effect’ of 5°C. Air velocity can be worked out by dividing the total fan capacity by the cross-sectional area of the house.

Velocity = Total Fan Capacity Shed Width x Height

A great way to increase the speed of air when using tunnel ventilation is by using air deflectors. These are installed from the ceiling to the top

of the sidewalls, which reduces the cross-section area of the house. This temporarily increases the air speed under each deflector and if the deflectors are positioned no more than 10 meters apart, the increased velocity becomes very consistent all the way along the house. Air deflectors are a great way to increase air speed at a minimal cost. It’s critical to ensure the inlet opening is not open too much or too little, as this can have an impact on both fan performance and bird production. The total inlet space will depend on whether the air is being drawn through cooling pads. In general, for a 15cm (6inch) pad there should be one square meter of pad for every 6,400m3/hr of exhaust fan capacity. For houses without cooling pads, its generally equal to the cross-section area of the house, width x average height. For example, in a house with a width of 15 meters and an average height of 3 meters, there would need to be 45m² of inlet area. It is worth noting that inlets should be placed on either side of the house or across the gable end as this will ensure the most uniform and efficient air movement.

There are a couple of things to keep in mind if including a misting system in a poultry house to guarantee maximum evaporation of the water, these include droplet size and nozzle placement. Misting lines should be placed near to the air inlets of the house and close to the ceiling, as this maximises the time the water droplets are kept aloft in the air. This is important as the greater time it is kept in the air, the more evaporation can occur which increases cooling.

To ensure that the droplets are kept in the air as long as possible its important to make them as small as possible. The size is determined by two things, the size of the nozzle and the water pressure. So, the smaller the nozzle and higher the pressure of the system makes for a smaller and more effective droplet size.

Furthermore, in every case you should refer to the manufacturer’s guidelines and recommendations for your own situation.

Please see Aviagen’s “Essential Ventilation Management” booklet for a more detailed description of ventilation management.

MIXTA THE FEED PAN FOR TURKEYS, DUCKS AND MIXED CYCLES

No chick inside the pan.

Automatic feed level setting with the window opening system.

ONE SECOND immediate opening and closing of the bottom pan for complete and fast washing.

DUO THE SUITABLE

COMBINED FEEDING AND DRINKING SYSTEM

Only one winching system for two lines with more space in the shed.

Designed from one-day old to slaughtering age.

Automatic feed level setting with the window opening system.

L.B. Linares1, L. Orellana 2 , D. Neves1, C. Morris1, C. Williams3, S.J. Wilkinson4 and K. Macklin5

1 Zinpro Corporation, Eden Prairie, MN, USA

2 Dep. Poultry Science, Auburn University, Auburn, AL, USA

3 Wayne Sanderson Farms, Oakwood, GA, USA

4 Feedworks Pty. Ltd. Romsey, VIC, Australia

5 Dep. Poultry Science, Mississippi State University, Mississippi State, MS, USA

Effect of translucency and eggshell colour on broiler breeder egg hatchability and hatch chick weight

The aim of this study was to describe the effects of shell translucency and colouration lightness (L* value) on shell thickness, hatchability, and chick weight. Results suggest that eggshell translucency and colouration lightness may be used as reliable noninvasive indicators of eggshell thickness, hatchability, and chick weight in breeder flocks.

Introduction

The eggshell functions as a resistance barrier protecting egg’s internal content from environmental hazards, allowing the proper embryo development during incubation. Egg quality

parameters normally measured are specific gravity, vapor water conductance, weight, thickness, porosity, breaking strength, elastic modulus, static and dynamic stiffness, among others. However, several of these quality measurements are destructive to the egg and require lengthy processes, whilst parameters such as shell translucency and colour don’t require destruction of the egg and may be easier to measure. Shell translucency is described as a mottled appearance spot ted in different sizes and shapes observed when candling eggs, and its generation is suggested to be caused by moisture accumulation in the shell and uneven drying af ter the egg is laid, leaving opaque and translucent areas. Eggshell colour has been significantly related to eggshell quality parameters.The aim of this project was to describe the effects of eggshell translucency and colouration intensity (dark and light) on eggshell thickness, hatchability, and chick weight.

Materials and methods

A total of 4320 eggs from Ross 708 breeder hens between 50 and 55 weeks of age from a commercial hatchery were used. Eggs were collected over 4 consecutive days

from different flocks each day (1080 eggs/d) and stored for 4 to 6 d at 15 °C and 70% relative humidity, prior sorting.

Pre-incubation and incubation measurements

Each day, 1080 eggs were categorized using the Zinpro ® BlueBoxTM methodology, which consists of classifying each egg with one of three Translucency Scores (TS1=low, TS2=medium and TS3=high). The 3-point scoring system takes into consideration the amount, size and coverage of spot pat terns or mottling areas in the eggshell (Figure 1). After scoring, colouration lightness (L* value) was evaluated using an electronic colorimeter (Nix Colour Sensor Pro2), sorting the eggs as light or dark and placed in a total of twelve 90-egg-incubator-trays. Eggshell thickness was determined using a non- invasive ultrasound gauge (Eggshell Thickness Gauge by Egg Tester). The average egg weight per tray was the initial egg weight prior to incubation. Eggs were set in 4 identical single stage incubators (Nature Form, model NMC 1080) with capacity of 1080 eggs. Relative humidity and temperature were maintained constant during incubation (37.7 °C and 55% relative humidity) and eggs were turned every hour.

Egg transfer and post-hatch parameters

At d-18 of incubation, all eggs were candled to remove eggs that appeared to be infertile or with dead embryos. These eggs were then cracked to confirm the infertility and embryonic mortality by visual examination and counted for calculation of egg loss along with the cracked, contaminated, and exploded eggs. The fertile eggs placed in trays were weighed for the calculation of egg weight at transfer. Egg weight loss was calculated by the subtraction of transfer egg weight from the initial egg weight and then divided by the initial egg weight. Eggs were then transferred to hatching baskets and placed back into the same incubators at the same temperature and relative humidity. Hatchability was calculated based on the number of eggs hatched from the total of eggs set. Hatched chicks were weighed as an average of chicks per basket. Unhatched eggs were opened to visually confirm embryonic mortality and chicks that hatched but were weak and near death were culled and counted to calculate the unhatched+culls % based on the number of eggs set. Data of translucency and eggshell colour effects on initial and transferred egg weight, % water loss, % hatchability, % unhatched + culls, eggshell thickness, and chick weight was analyzed using the GLIMMIX procedure of SAS (V 9.4) and Tukey’s HSD test was performed to separate means. Significant difference was considered between the means when P<0.05.

Results

The effects of eggshell translucency and eggshell colour are summarized

Figure 1 – Grades of eggshell Translucency Score. (A) TS1, (B) TS2, (C) TS3.

in Tables 1 and 2, respectively. An interaction between colour and translucency was observed only for eggshell thickness (P=0.029), where eggs classified as light-colored and with TS1 had a thinner eggshell compared to those that were dark and had a TS3 egg.

Discussion

According to Liao et al. (2013), the length of the mammillary layer and width of mammillary cones are positively correlated with eggshell thickness. Chousalkar et al. (2010) observed that translucent eggshells have chang -

Table 1 – Influence of translucency on initial egg weight, final egg weight, water loss %, egg loss %, hatchability, unhatched + culls %, chick weight and eggshell thickness.

es primarily in their mammillary layer and cones, suggesting that the increased thickness of the whole shell of the highly translucent eggs is caused predominantly by increasing the width of the mammillary cones, which leads to a higher mammillary layer ultrastructure. In this study, the thinner eggshells had the highest hatchability. The differences could be attributed to bet ter uniform shell over the entire egg, which causes a greater strength of the eggs as suggested by Yan et al. (2014), who found that eggs with thin and uniform shells are stronger than those with thick yet less uniform shells.

Research has suggested that loss of weight during incubation could be attributed to water vapor exchange that can be influenced by eggshell porosity and thickness as these authors found that thinner shells can lose more weight during incubation. This is contrary to our observations, as we found that eggs with thicker shells, but high translucency lost more weight during incubation than eggs with thin shells. Translucent eggs have been repor ted to have thinner inner membranes, indicating reduced toughness and elasticity, and less protection to the egg content and embryo, which also negatively affects the flow of gases through the shell. The translucency impacted the % egg losses to d-18 of incubation, showing 5.8% higher egg losses in TS3 compared to TS1 eggs, and causes of embryonic death in translucent eggs could be related to poor resistance to water loss, altered embryo respiration rate and higher susceptibility to bacterial

Table 2 – Influence of eggshell colour on initial egg weight, final egg weight, water loss %, egg loss %, hatchability, unhatched + culls %, chick weight and eggshell thickness.

abc Different superscript letters represent statistically significant differences (P<0.05) within rows.

TS1 = Translucency score of 1; TS2 = Translucency score of 2; TS3 = Translucency score of 3; SE = Standard deviation.

ab Different superscript letters represent statistically significant differences (P<0.05) within rows. SE = Standard error

contamination. The TS1 eggs had a 6.9% higher hatchability of eggs set and greater chick weight in comparison to eggs with a TS3, agreeing with Burin et al. (2023) that repor ted hatch of fertile eggs were significantly impacted by translucency (P<0.0001) with hatchability for TS 1, 2 and 3 being 92.3%, 91.4% and 86.3%, respectively.

In this study, dark-colored eggs had 3.8% higher hatchability, which agrees with previous research, whom also repor ted that darker eggshells from broiler breeders have been related to a higher maternal antibody content in the yolks. Dark-colored eggs also had a thicker eggshell in this study, and as shell pigmentation and the calcification process are interrelated, with a significant deposit of pigment causing an increase in calcium deposition in the eggshell, which may explain why darker-colored eggs are thicker. The interaction between colour and translucency is consistent with the effect of translucency and colour on thickness when evaluated independently. Our study suggests that thickness can be best estimated by considering both translucency and colour of the eggshell, although these factors could be influenced by variation between flocks due to factors such as different farm management, environmental challenges, age, nutrition and vaccinations.

Conclusion

In conclusion, high translucent eggs (TS3) had reduced hatchability and day-old chick weight in comparison to TS1 and TS2 whereas high translucent eggs had the thickest eggshells. Regarding the impact of

colour lightness, greater values for thickness and hatchability were found in dark-colored eggs. The interaction of both translucency and colour lightness only impacted shell thickness. These results suggested that eggshell translucency and colouration lightness may be good noninvasive indicators of eggshell thickness, hatchability, and chick weight in breeder flocks.

Eagle Trax™

Hatcheries have a wealth of valuable data available. Unlocking the potential of that data presents a major opportunity to improve the overall performance of hatcheries as well as of the entire value chain. With Eagle Trax™, Petersime offers the first intelligent hatchery software that turns data into maximum poultry performance. Eagle Trax™ allows you to digitise, analyse and optimally use data to advance ever more in hatchery efficiency, productivity and chick quality.

With Eagle Trax™, your hatchery will always maximise the genetic potential of each hatching egg and deliver predictable output of the most profitable day-old chicks for everybody involved in the poultry value chain.

Case report: histomoniasis in broiler breeder pullets

Vijay Durairaj1, Mary Drozd 2 , Emily Barber1, Brandon Doss3, Ryan Vander Veen1

1 Huvepharma, Inc., Lincoln, Nebraska, USA

2 University of NebraskaLincoln, Lincoln, Nebraska, USA

3 Huvepharma, Inc., Peachtree City, Georgia, USA

Corresponding author: Vijay.Durairaj@huvepharma.us

Histomoniasis, commonly known as blackhead disease, is caused by an anaerobic protozoan parasite, Histomonas meleagridis. Histomoniasis affects all gallinaceous birds and turkeys are the most vulnerable species. In recent years, increased incidences of histomoniasis have been documented in chickens. This case report describes gross lesions and histological lesions, and associated diagnostic testing in a field investigation of a broiler breeder pullet farm.

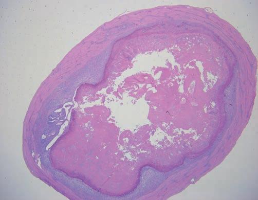
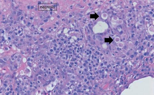
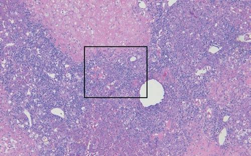
A case report of histomoniasis in a fourweek-old-broiler breeder pullet farm is discussed here. On field investigation, gross lesions in ceca and liver were noticed suggesting histomoniasis.

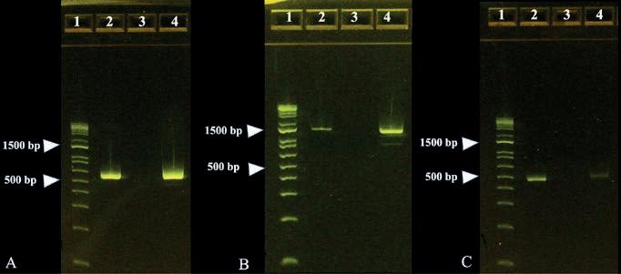
During histopathological evaluation, Histomonas trophozoites were identified. H. meleagridis and Blastocystis spp. were isolated in culture. Advanced molecular diagnostic techniques confirmed genotype-1

H. meleagridis. With the absence of commercial vaccines and prophylactic/therapeutic measures, field surveillance studies play a vital role in understanding H. meleagridis wild-type strains and identifying solutions for histomoniasis.

Introduction

Histomoniasis was first reported in turkeys by Cushman in 1893 (1). Histomonas meleagridis, an anaerobic protozoan parasite, causes histomoniasis (histomonosis, enterohepatitis, enzootic typhlohepatitis). H. meleagridis affects all gallinaceous birds and turkeys are highly susceptible. Heterakis gallinarum, the common cecal worm of chickens, acts as a vector for transmitting H. meleagridis Heterakis gallinarum eggs can harbor H. meleagridis for several years. Thus, it is not advisable to rear chickens and turkeys on the same premise or in close proximity to one another.

Among the gallinaceous species, turkeys are highly susceptible to histomoniasis. In turkeys, the mortalities can reach up to 80%-100% (2). Chickens mount a better immune response to H. meleagridis compared to turkeys (3, 4). Thus, the severity of histomoniasis is not as pronounced in chickens and may induce mortality up to 10%20% (5). Based on 1986 AAAP Committee on Disease Reporting, the economic losses associated with histomoniasis are more significant in chickens compared to turkeys due to the number of birds involved and frequency of incidences (6). In recent years, increased incidences of histomoniasis have been documented in chickens.

In the past, histomoniasis was managed and controlled by prophylactic treatment with Arsenics (i.e Carbarsone and Nitarsone), and therapeutic treatment with Nitro-imidazoles (Dimetridazole, Iprondidazole) and Nitrofurans (Furazolidone, Salfuride) (7). Due to various reasons, these products were removed/withdrawn from the market. At present, there are no commercial vaccines available to

IT’S WHAT YOU DON’T SEE THAT SETS US APART

Customer Support

A well-travelled suitcase is the hallmark of our globally mobile Aviagen Turkeys experts who are always available worldwide to support customers and help optimise birds’ genetic potential. You can always rely on us for exceptional knowledge and experience designed to help maximise your performance and profitability.

For more information about our entire range, visit www.aviagenturkeys.com

Our knowledge gives you power to perform

VETERINARY SCIENCE

combat histomoniasis. In certain countries, a few therapeutic/ prophylactic products are used to combat histomoniasis, but the efficacy of these products are highly variable. With this set of circumstances, the prevention of histomoniasis transmission by following strict biosecurity measures helps in minimizing the risk of spreading the disease. Field surveillance studies aid in understanding the current H. meleagridis wild-type isolates and to identify potential solutions for histomoniasis.

Materials and methods

Case history

In Spring 2022, histomoniasis was reported in two out of seven houses (n=14,000 birds/house) in four-week-oldbroiler breeder pullets in South Central, USA. Increased mortality was reported in both houses. On necropsy, gross lesions were noticed in the ceca and liver. Ceca and liver samples were collected in 10% neutral buffered formalin for histopathological evaluation. Additional cecal samples were collected in plug seal-capped flasks containing 10 ml of modified Dwyer’s media (8) and placed in a warm insulated Styrofoam box and safely transported to the lab. In addition, whole intestines were collected and shipped in a cold insulated Styrofoam box.

Histopathology

Necropsy tissues were immediately fixed in 10% neutral buffered formalin. Following fixation, sections were pro -

cessed routinely, paraffin-embedded and sectioned at 3-4 μm and stained with hematoxylin-eosin. Histologic tissues were evaluated by a board-certified pathologist.

Culture

The plug seal-capped flasks with cecal samples were received in warm condition. The flasks were supplemented with fresh pre-warmed modified Dwyer’s media (5 ml) and then moved to an incubator (40 °C) and maintained in anaerobic condition. Periodically, the cultures were observed under inverted microscope.

DNA extraction and PCR

Intestinal samples were evaluated and a piece of cecal tissue was homogenized with glass beads. DNA was extracted from the homogenized cecal sample using DNeasy Blood & Tissue Kit (Qiagen, Hilden, Germany) following the manufacturer’s instructions. Each 50 µL PCR reaction consisted of 1X GoTaq G2 Hot Start Green Master Mix (Promega, Madison, WI), 0.2 µM of each primer, and 5 µL of template. PCR was performed using protozoa 18s rRNA primers (9), H. meleagridis rpb1 gene specific primers (9), SSU rRNA of Blastocystis primers (10), and mtCOI gene of Eimeria sp. primers along with the described cycling conditions.

Gel electrophoresis of PCR products and sequencing

The amplicons (2 µL) were visualized using E-Gel™ EX

Figure 1 – Liver lesions included multifocal (A) to diffuse (B,C) irregularly round, red to red-brown necrotic foci surrounded by a whiteyellow rim. In some birds, the necrotic center was slightly depressed.

VETERINARY SCIENCE

Agarose Gels, 2% (Invitrogen, Carlsbad, CA) with E-Gel™ 1 Kb Plus DNA Ladder (Invitrogen™). The QIAquick PCR purification kit (Qiagen) was used to purify the PCR products for sequencing (Eurofins, Louisville, KY).

Results

Gross pathology

Gross lesions in the ceca included typhlitis and cecal cores. The liver lesions had numerous dark red centered multifocal necrotic foci surrounded by white periphery resembling bulls-eye (Figure 1A), diffuse irregularly round, red necrotic foci surrounded by white-yellow rim, resulting in discoloration of the liver (Figure 1B), and red-brown necrotic foci resulting in slight depressions on the surface of the liver resembling saucer shaped lesions (Figure 1C).

Based on the distinctive gross lesions in the ceca and liver, a presumptive diagnosis of histomoniasis was made.

Histopathology

Ceca: Approximately 60% to 95% of the mucosa was replaced by predominately granulomatous inflammation and granulation tissue infiltrated by pleomorphic bacteria and Histomonas trophozoites (Figures 2 and 3). The luminal surface was covered in a fibrinocellular exudate infiltrated by protozoa and bacteria. The underlying submucosa was effaced by histiocytic to pyogranulomatous

inflammation and granulation tissue that was infiltrated by trophozoites (Figures 2 and 3).

The remaining mucosa had abundant lamina propria fusion and inflammation, bacterial and protozoa, crypt loss and extensive, irregular distention of the remaining crypts with protein and cellular debris. The tunica muscularis

3 – (A) The ceca mucosa is replaced by predominately granulomatous inflammation and granulation tissue. At higher magnification (B) Histomonas trophozoites infiltrate the mucosa.

Figure 2 – The ceca mucosa is covered in a thick, fibrinocellular exudate infiltrated by bacteria and protozoa. The underlying mucosa is replaced by inflammation, protozoa, and granulation tissue.
Figure

VETERINARY SCIENCE

Figure 4 – (A) Multifocal to coalescing, variably organized granulomas infiltrated by Histomonas trophozoites. At higher magnification (B) Histomonas trophozoites replaces normal hepatic tissue.

was expanded and mildly effaced by multifocal to coalescing, predominantly histiocytic inflammation that was most prevalent around small blood vessels and occasionally had a central nidus of necrosis and trophozoites. The associated mesentery was thickened by lymphohistiocytic inflammation.

Liver: Between 20% and 75% of the examined liver sections were severely effaced by multifocal to coalescing, random, hepatocellular necrosis infiltrated by histiocytic and mixed inflammation with granuloma organization, variable numbers of trophozoites and protein (Figure 4).

Culture

On the day after receipt, all the flasks were examined under the microscope. An overwhelmed Blastocystis spp. population (Figure 5) with varying sizes were observed in all the flasks. Two days after incubation, H. meleagridis were detected in the culture but were difficult to document by microscopic images due to overwhelming

growth of Blastocystis spp. All the flasks had unidentified bacterial population.

PCR and sequencing

The predicted size of each amplicon generated from the PCR reactions was visualized on separate E-Gels. A positive band was noticed at approximately 550 bp in the amplicons generated by PCR directed against protozoal 18s RNA and confirmed as genotype-1 H. meleagridis with 95.17% identity to wild-type H. meleagridis (Figure 6A). A positive band was noticed at approximately 1240 bp in the amplicons generated by PCR directed against H. meleagridis Rpb1 gene and confirmed as genotype-1 H. meleagridis with 99.66% identity to wild-type H. meleagridis (Figure 6B). A positive band was noticed at approximately 500 bp in the amplicons generated by PCR directed against Blastocystis spp. with 99.30% identity to wild-type Blastocystis spp. (Figure 6C). No bands were observed on Eimeria sp. specific PCR (gel image not shown).

Discussion

Histomoniasis in chickens was infrequently reported in the past. Withdrawal and ban of prophylactics/therapeutics in poultry has resulted in increased cases of histomoniasis. The number of birds involved, along with increased incidences and accompanying morbidity and mortality, has positioned histomoniasis as an economically important disease in the chicken industry. In the USA, a day-old broiler breeder female chick costs ~ $10 and male chick costs ~$14. Considering the feeding, management and labor costs at four-weeks-of-age, a broiler breeder pullet costs approximately $13 to $17. For example, in a flock of 14,000 birds at four-weeks-of-age, if 1% of increased mortality is attributable to histomoniasis, it will result in additional losses of $1820-$2380. If the mortality associated with histomoniasis increased to 5%, it will result in an additional loss of $9,100 to $11,900.

A presumptive diagnosis of histomoniasis was made based on the characteristic gross lesions in the ceca and liver. In this case, the liver lesions were distinctive suggesting histomoniasis. In some instances, H. meleagridis does not cause typical lesions in the liver. In other instances, the liver and cecal lesions may be induced by different pathogens.

Lesions in the chicken liver can be induced by parasites such as H. meleagridis, Tetratrichomonas gallinarum and Leucocytozoon caulleryi, viruses such as Marek’s disease virus, Avian leukosis virus, reticuloendothelial virus, fowl adenovirus-1, avian hepatitis E virus and bacteria such as Salmonella pullorum, Salmonella gallinarum, Pasteurella multocida, Mycobacterium avium, Enterococcus cecorum, Streptococcus gallolyticus subsp. gallolyticus, Escherichia coli (perihepatitis), Mycoplasma gallisepticum (perihepatitis), Mycoplasma synoviae (perihepatitis), Clostridium perfringens, Camplylobacter hepaticus, Staphylococcus, and Erysipelothrix rhusiopathiae. Other conditions that can cause liver lesions include hemorrhagic hepatopathy, fatty liver hemorrhagic syndrome, aflatoxins, amyloidosis, ascites, visceral gout, heat stress and high energy diet. Lesions in the chicken ceca can be induced by parasites such as H. meleagridis, Eimeria tenella, Tetratrichomonas gallinarum and bacteria such as Salmonella sp Combined liver and cecal lesions in chickens can be induced by H. meleagridis, Tetratrichomonas gallinarum and Salmonella Sp

Histology of the ceca and liver confirmed H. meleagridis as the cause of necroulcerative typhilitis and necrotizing and granulomatous hepatitis in these chickens.

The cecal culture incubated in modified Dwyer’s media had overwhelming growth of Blastocystis spp. of various sizes. Blastocystis spp. is a common protozoan parasite that is present in the intestine of the chickens (11, 12). Although debatable, Blastocystis spp. does not have

a huge clinical impact (12, 13). H. meleagridis has two genotypes, namely genotype 1 and 2 (9). The pathological manifestations and the clinical signs vary between the genotypes. PCR and sequencing confirmed that the wildtype H. meleagridis reported in this study was genotype 1. In Europe, genotype 1 is predominant, while genotype 2 is rare (9). In the USA, based on our field surveillance over the last few years, genotype 1 was identified in all the field outbreaks studied. Advanced molecular techniques such as PCR and

INTRA HYDROCARE DOES COMPLY WITH

THE

LATEST REGULATIONS

Figure 5 – Photomicrograph of the culture flask examined under the inverted microscope. A, B, C. Blastocystis sp.

VETERINARY SCIENCE

Figure 6 – Visualization of amplicons on E-GEL EX agarose gel (2%). A. Lane 1: one Kb plus molecular size maker, lane 2: amplicon from the field sample, lane 3: negative control without DNA template, lane 4: positive control for H. meleagridis. B. Lane 1: one Kb plus molecular size marker, lane 2: amplicon from field sample, lane 3: negative control without DNA template, lane 4: positive control for H. meleagridis. C. Lane 1: one Kb plus molecular size marker, lane 2: amplicon from field sample, lane 3: negative control without DNA template, lane 4: positive control for Blastocystis spp.

sequencing helps provide valuable insights at the genotype level. Thus, field surveillance studies help in understanding current H. meleagridis wild-type isolates and can be useful in identifying a solution for histomoniasis.

Acknowledgment

The authors would like to thank the poultry company and the supervisor for collaborating with us and providing the gross pathology images.

References

1. Cushman, S. The production of turkeys. In: Bulletin 25, Agricultural Experiment Station, Rhode Island College of Agriculture and Mechanical Arts, Kingston, RI. 89–123. 1893.

2. Hess M., McDougald LR. Histomoniasis. In: Swayne D, Boulianne M, Logue C, McDougald L, Nair V., Suarez D., deWit S., Grimes T., Johnson D., Kromm M., et al., edi-

tors. Diseases of Poultry. 14th ed. Ames (IA): Wiley- Blackwell. 1223–1230; 2020.

3. Powell, F. L., L. Rothwell, M. J. Clarkson, and P. Kaiser. The turkey, compared to the chicken, fails to mount an effective early immune response to Histomonas meleagridis in the gut. Parasite Immunol. 31:312–327. 2009.

4. Mitra, T., W. Gerner, F. A. Kidane, P. Wernsdorf, M. Hess, A. Saalmuller, and D. Liebhart. Vaccination against histomonosis limits pronounced changes of B cells and T-cell subsets in turkeys and chickens. Vaccine 35:4184–4196. 2017.

5. McDougald LR. Blackhead disease (histomoniasis) in poultry: a critical review. Avian Dis. 49:462–476; 2005.

6. Callait, M. P., C. Granier, C. Chauve, and L. Zenner. In vitro activity of therapeutic drugs against Histomonas meleagridis (Smith, 1895). Poult. Sci. 81:1122–1127. 2002.

7. Clark S, Kimminau E. Critical review: future control of blackhead disease (histomoniasis) in poultry. Avian Dis. 61:281–288; 2017.

8. Hauck R, Armstrong PL, McDougald LR. Histomonas meleagridis (Protozoa: Trichomonadidae): analysis of growth requirements in vitro J Parasitol. 96:1–7; 2010.

9. Bilic I, Jaskulska B, Souillard R, Liebhart D, Hess M. Multi-locus typing of Histomonas meleagridis isolates demonstrates the existence of two different genotypes. PLOS ONE 9:e92438; 2014.

10. Hess, M., T. Kolbe, E. Grabensteiner, and H. Prosl. Clonal cultures of Histomonas meleagridis, Tetratrichomonas gallinarum and a Blastocystis sp. established through micromanipulation. Parasitology. 133:547–54. 2006.

11. Grabensteiner, E., and M. Hess. PCR for the identification and differentiation of Histomonas meleagridis, Tetratrichomonas gallinarum and Blastocystis spp. Vet. Parasitol. 142:223–230. 2006.

12. Chadwick E, Malheiros R, Oviedo E, Cordova Noboa HA, Quintana Ospina GA, Alfaro Wisaquillo MC, Sigmon C, Beckstead R. Early infection with Histomonas meleagridis has limited effects on broiler breeder hens’ growth and egg production and quality. Poult Sci. 99:4242-4248. 2020.

13. Stensvold CR, Alfellani MA, Nørskov-Lauritsen S, Prip K, Victory EL, Maddox C, Nielsen HV, Clark CG. Subtype distribution of Blastocystis isolates from synanthropic and zoo animals and identification of a new subtype. Int J Parasitol. 39:473-9. 2009.

World leader in incubators & complete hatchery solutions

www.petersime.com

INCUBATORS SPECIALIST SINCE 1924

Incubators for all types of eggs. Specialists for partridges, pheasants and ostriches. Via Bancora e Rimoldi 3 – 22070 Guanzate (COMO), Italy 39-031.352.91.22 – 031.352.91.29 – Fax: 39-031.352.95.91

E-mail: victoria@victoria-srl.com

Automatic and digital incubators from 18 to 10.000 eggs of capacity Via G.Galilei 3 – 22070 Guanzate (COMO), Italy Fax: +39-031.899.163

E-mail: fiem@fiem.it

www.agritech.it – e-mail: commerce@agritech.it

Leader in pig & poultry equipment

Via Roma 29, 24030 Medolago (BG) Italy - Phone +39 035 901240 Fax +39 035 902757 info@azainternational.it www.azainternational.it

CARFED INTERNATIONAL LTD

Italian Headquarters: Piazza Oberdan, 3, 20129 Milano (Italy)

Italian Warehouse: Via Basilicata, 10, 20098 San Giuliano Milanese (Italy) Tel.: +39 02 9881140 - Fax: +39 02 98280274 Email: carfed@carfed.it - Website: www.carfed.it

UK Headquarters: 2nd Floor Gadd House, Arcadia Avenue London, England N3 2JU, United Kingdom Тel.: + 44. 20. 7660.0987- Email: carfed@carfed.co.uk

CODAF Poultry Equipment Manufacturers Via Cavour, 74/76 • 25010 Isorella (Brescia), ITALY Tel. +39 030 9958156 • Fax: +39 030 9952810 info@codaf.net • www.codaf.net

• Watering & Feeding Systems

• Poultry Accessories

• Industry Breeding

• Manure & Egg Belts

Corti Zootecnici Srl | Via Volta 4, Monvalle (VA) - Italy| Tel. +39 0332 799985 | info@cortizootecnici.com

Poultry Equipment for Layers and Broilers

Tel. (+39) 0375/95135

VALLI spa • via Cimatti, 2 • 47010 Galeata (FC) • Italy T: +39 0543 975 311 • F: +39 0543 981 400 E: info@valli-italy.com • I: www.valli-italy.com

Housing equipment for breeders, layers and broilers.

www.vencomaticgroup.com

Drinking

Conveyor systems

UPCOMING EVENTS

2024

September, 1 to 5

75th EAAP Annual Meeting

Firenze Fiera Florence, Italy

For information contact:

Email: eaap2024@thetriumph.com

Website: eaap2024.org

Venue

Firenze Fiera

Piazza Adua, 1 50123 Florence, Italy

September, 10 to 11

Smart Poultry World Sofia, Bulgaria

For information contact: Website: www.smartpoultryworld.com

Venue

Boulevard "Tsarigradsko shose" 147, 1784 7-ми 11-ти километър, Sofia, Bulgaria

September, 17 to 19

SPACE 2024

Exhibition Center of Rennes Rennes, France

For information contact: SPACE

Rue Maurice Le Lannou

CS 54239

35042 Rennes Cedex, France

Email: inscription@space.fr

Tel.: +33 (0)2 23 48 28 80

Website: www.uk.space.fr

Venue

Exhibition Center of Rennes La Haie Gautrais

35170 Bruz, France

October, 2 to 3

VIV Africa

Kigali Convention Centre (KCC) Kigali, Rwanda

For information contact: www.vivafrica.nl/contact/contact-form/ Venue

Kigali Convention Centre (KCC)

KG 2 Roundabout Kigali, Rwanda

November, 12 to 15

EuroTier

Deutsche Messe Hanover, Germany

For information contact: Email: eurotier@DLG.org

Website: www.eurotier.com/en

Venue

Messegelände, Hannover, Germany

2025

January, 28 to 30

IPPE International Production & Processing Expo

Georgia World Congress Center Atlanta, Georgia, USA

For information contact: Anne Sculthorpe, CEM, Senior Exhibit Manager

Email: asculthorpe@ippexpo.org

Tel.: +1 678 514 1976

Kris Early, Media/Press/Sponsorship Coordinator

Email: kearly@uspoultry.org

Tel.: +1 678 514 1979

Email: info@ippexpo.org

Website: www.ippexpo.org

Tel.: +1 770 493 9401

Venue

Georgia World Congress Center

285 Andrew Young International Blvd NW, Atlanta, Georgia, USA

June, 23 to 26

24th European Symposium on Poultry Nutrition

Maastricht Exhibition & Congress Centre (MECC)

Maastricht, The Netherlands

For information contact: Conference Management Klinkhamer - conferences & events Duboisdomein 5D 01 6229 GT Maastricht, The Netherlands

Email: helpdesk@klinkhamergroup.com

Tel.: +31(0)43-36 27 008

Website: www.espn2025.eu

Venue

Maastricht Exhibition & Congress Centre (MECC)

Forum 100 6229 GV Maastricht, The Netherlands

INTERNET GUIDE

Agritech commerce@agritech.it www.agritech.it

Arion Fasoli info@arionfasoli.com www.arionfasoli.com

Aviagen info@aviagen.com www.aviagen.com

Aviagen Turkeys Ltd turkeysltd@aviagen.com www.aviagenturkeys.com

Aza International info@azainternational.it www.azainternational.it

Barbieri Belts info@barbieri-belts.com www.barbieribelts.com

Big Dutchman big@bigdutchman.com www.bigdutchman.de

Biochem info@biochem.net www.biochem.net

Carfed International Ltd carfed@carfed.co.uk

Carfed Italian Branch carfed@carfed.it www.carfed.it

Cobb Europe info@cobb-europe.com www.cobb-vantress.com

Codaf info@codaf.net www.codaf.net

Corti Zootecnici S.r.l. info@cortizootecnici.com www.cortizootecnici.it

DACS mail@dacs.dk www.dacs.dk

EuroTier eurotier@dlg.org www.eurotier.com

Facco Poultry Equipment facco@facco.net www.facco.net

FIEM fiem@fiem.it www.fiem.it

FierAgricola Verona fieragricola@veronafiere.it www.fieragricola.it

FierAvicola info@fieravicola.com www.fieravicola.com

Gasolec sales@gasolec.com www.gasolec.com

Giordano Poultry Plast info@poultryplast.com www.poultryplast.com

GI-OVO B.V. sales@gi-ovo.com www.gi-ovo.com

Hendrix Genetics info@hendrix-genetics.com www.hendrix-genetics.com

Hubbard contact.emea@hubbardbreeders.com www.hubbardbreeders.com

Hy-Line International info@hyline.com www.hyline.com

Impex Barneveld BV info@impex.nl www.impex.nl

Intracare info@intracare.nl www.intracare.nl

Jamesway sales@jamesway.com www.jamesway.com

Jansen Poultry Equipment info@jpe.org www.jpe.org

Lubing System info@lubing.it www.lubingsystem.com

Marel Poultry info.poultry@marel.com www.marel.com/en/poultry

Mbe Breeding Equipment info@mbefabriano.it www.mbefabriano.it

Menci commerciale@menci.it www.menci.it

Meyn sales@meyn.com www.meyn.com

MOBA sales@moba.net www.moba.net

MS Technologies info@mstegg.com www.mstegg.com

Newpharm info@newpharm.it www.newpharm.it

Officine Meccaniche Vettorello luciano@officinevettorello.it www.officinevettorello.com

Omaz srl omaz@omaz.com www.omaz.com

Petersime N.V. info@petersime.com www.petersime.com

Prinzen B.V. info@prinzen.com www.prinzen.com

Reventa info.reventa@munters.de www.reventa.de

Royal Pas Reform info@pasreform.com www.pasreform.com

Roxell info@roxell.com www.roxell.com

Ska ska@ska.it www.skapoultryequipment.com

Socorex socorex@socorex.com www.socorex.com

Space info@space.fr www.space.fr

Specht Ten Elsen GmbH & Co. KG info@specht-tenelsen.de www.specht-tenelsen.de

Sperotto S.p.A. info@sperotto-spa.com www.sperotto-spa.com

TPI-Polytechniek info@tpi-polytechniek.com www.tpi-polytechniek.com

Val-co intl.sales@val-co.com www.val-co.com

Valli info@valli-italy.com www.valli-italy.com

VDL Agrotech info@vdlagrotech.nl www.vdlagrotech.com

Vencomatic Group B.V. info@vencomaticgroup.com www.vencomaticgroup.com

Victoria victoria@victoria-srl.com www.incubatricivictoria.com

VIV Europe viv.europe@vnuexhibitions.com www.viveurope.nl

Editorial Director Lucio Vernillo

Editorial Staff Daria Domenici (zootecnica@zootecnica.it)

Account Executive Marianna Caterino (amministrazione@zootecnica.it)

Editorial Office

Zootecnica International Vicolo Libri, 4 50063 Figline Incisa Valdarno (FI) Italy

Tel.: +39 055 2571891 Website: zootecnicainternational.com

Licence

Registrazione Tribunale di Firenze n.3162 Spedizione in A.P. Art.2 comma 20/B legge 662/96 - Filiale di Firenze ISSN 0392-0593

Subscription Rates (1 year / 11 issues): Europe Euro 100 Rest of the World Euro 120

Subscribe online by Credit Card or Paypal: zootecnicainternational.com/subscription

Subscribe by money transfer: 1. effect a money transfer to: Zootecnica International, Vicolo Libri, 4 50063 Figline Incisa Valdarno (FI) Italy; bank: UNICREDIT, BIC: UNICRITM1OU9 Iban: IT 81 H 02008 38083 000020067507

2. send us your complete shipping address by email: amministrazione@zootecnica.it.

Art Direction & Layout

Laura Cardilicchia – elleciwebstudio.com

Cover Image: ©Denise Vernillo

Printed Nova Arti Grafiche, Florence

English Edition Year XLVI July/August 2024

CHOOSE HOW YOU WANT TO

ENJOY

It’s been 50 years since Zootecnica International started serving the poultry industry and professionals. Today the magazine is edited in three languages (English, Italian and Russian) and delivered monthly in 120 countries, reaching around 30.000 readers all over the world.

The target of Zootecnica International includes farmers, egg producers, breeding companies, hatcheries, feed mills, poultry and egg processing companies.

Magazine and website offer a broad overview on the poultry industry, providing in-depth news on international markets, business management, trends and practices in poultry, genetics, incubation, nutrition, veterinary and management.

Subscribe by money transfer:

1. effect a money transfer to: Zootecnica International, Vicolo Libri, 4 50063 Figline Incisa Valdarno (FI), Italy; bank: UNICREDIT, BIC: UNICRITM1OU9 Iban: IT 81 H 02008 38083 000020067507

2. send us your complete shipping address by email: subscription@zootecnica.it.

PRINT ONLY

DIGITAL ONLY

(digital magazine sent to your mailbox)

(print magazine delivered to your door) € 49

Giordano is the trademark that represents the most complete and cutting-edge product offering in the poultry and veterinary sector.

With over 60 years of expertise in the design and realisation of plastic products, the various areas of the group are able to respond to different needs through specific expertise.

Specialist in bird transport, farming, egg handling and veterinary. Absolute dedication, know-how, innovation and social responsibility are and continue to be the axis onto which our work constantly develops every day.

Turn static files into dynamic content formats.

Create a flipbook
Issuu converts static files into: digital portfolios, online yearbooks, online catalogs, digital photo albums and more. Sign up and create your flipbook.