
S. Marc Breedlove Neil V. Watson
![]()

S. Marc Breedlove Neil V. Watson
Introduzione alle neuroscienze comportamentali, cognitive e cliniche

1.1 IL CERVELLO È PIENO DI SORPRESE 2
Il comportamento può essere descritto secondo criteri diversi 2
Il corpo e il comportamento si sviluppano nell’arco di tutta la vita 2
Alla base di tutti i comportamenti ci sono meccanismi biologici 5
Il confronto tra specie aiuta a comprendere l’evoluzione del cervello e del comportamento 5 La ricerca può essere applicata ai problemi umani 5
1.2TRE
1.3I VARI LIVELLI DI ANALISI NELLE NEUROSCIENZE
Incontreremodiversiargomentirelativialcervello ealcomportamento
Leneuroscienzecomportamentalicontribuiscono allacomprensionedelledisfunzioniumane 10
Laricercasuglianimaliapportacontributi fondamentali 11
1.4STORIA DELLE RICERCHE SUL CERVELLO E SUL COMPORTAMENTO 12
GliscienziatidelRinascimentocominciarono acomprenderel’anatomiadelcervello
Ilconcettodilocalizzazionefunzionalevenne formulato nel XIX secolo
sononatenelXXsecolo
Lacortecciacerebraleèadibitaaprocessi allabasedifunzionicognitivecomplesse 35 Leregionisottocorticalisonocoinvolte nelmovimentoenellaregolazionedelleemozioni 35 Ildiencefalodirezionaleinformazionisensoriali econtrollalefunzionifisiologichedibase 36 Ilmesencefalocontienesistemimotoriesensoriali 36 Ilcervellettoèattaccatoalponteed èfondamentaleperlacoordinazionemotoria 36 Ilmidolloallungatocontrollaalcuneimportanti funzionivitali 37
Comportamentieabilitàcognitivesonodeterminati daretifunzionalicomplessetraregionicerebrali 37
2.4SISTEMI DI SUPPORTO SPECIALIZZATI
Illiquidocerebrospinaleavvolgeilcervello ecircolaattraversoilsistemaventricolare 38 Ilcervellohaunsistemavascolarecomplesso 39
Unsistemalinfaticospecializzatoelimina lesostanzediscartodalcervello 40
2.5LE NUOVE TECNICHE DI IMAGING CONSENTONO DI OSSERVARE STRUTTURA E FUNZIONE
Misuredidensitàpermapparelestrutturecerebrali 41 Letecnichediimagingfunzionalemappano l’attivitàdelleregionicerebralimentresono inattospecificicomportamenti 41
Letecnichesofisticatediimagingsonostrumenti potenticherichiedonodiessereinterpretati concautela 45
Ilpotenzialedimembranadiriposo diunneuronedipendedaunequilibriodiforze
Affinchésiattiviilpotenzialed’azione, deveessereraggiuntounvaloresoglia didepolarizzazione
Imeccanismiioniciallabase
Lesinapsipossonoessereeccitatorieoinibitorie
Gliingressisinapticivengonointegratiattraverso lasommatoriaspazialeetemporale
3.3I
Lemolecoleconfunzionedirecettorericonoscono itrasmettitori
Itrasmettitorisileganoairecettorieaprono icanaliionici
L’azionedeitrasmettitorisinapticièinterrotta rapidamente
Diversifattoriregolanoilrilascio delneurotrasmettitore
Ineuronielesinapsisiinterconnettono
3.4L’ATTIVITÀ ELETTRICA GREZZA
L’elettroencefalogramma
Idisturbiepiletticisonocausati da“tempesteelettriche”nelcervello
Ipotenzialicorrelatiall’eventomisurano levariazionidell’attivitàcerebraleinrisposta
La nascita di una creatura
4.1LA TRASMISSIONE SINAPTICA È UN PROCESSO ELETTROCHIMICO
4.2I NEUROTRASMETTITORI SONO MOLTO DIVERSI
Cisonomoltitipidineurotrasmettitori 79
Ineurotrasmettitorieccitatorieinibitoripiùdiffusi nelcervellosonoamminoacidi 80
L’acetilcolinaèstatoilprimoneurotrasmettitore aessereidentificato 81
Lemonoamminesonoineurotrasmettitori classicipiùnoti
4.3GLI
Lapotenzaeilgradodisicurezzadiunasostanza dipendonodallarelazionedose-risposta 86
Imodellidiabusodisostanzefinoraproposti sonoinconflittotraloro
Ogniindividuoèvulnerabileall’abusodidroghe inmododiverso
L’usoel’abusodidrogheeladipendenzapossono essereprevenutiotrattatiinmoltimodi
5.1GLI ORMONI AGISCONO CON MODALITÀ
Ilmetodoscientificohastabilitol’importanza degliormonitesticolari
Gliorganismiusanovaritipidicomunicazione chimica 110
L’azioneormonaleseguealcuniprincipigenerali 111
Lecelluleneuroendocrinefondonolefunzioni neuronaliedendocrine 112
Gliormonipossonoessereclassificatiinbase allalorostrutturachimica 112
5.2GLI ORMONI HANNO FUNZIONI
Gliormoniavvianoleloroazionilegandosi airecettori
peptidici e amminici
Ormoni steroidei
Imeccanismiafeedbackregolanolasecrezione degliormoni
5.3OGNI GHIANDOLA ENDOCRINA SECERNE
L’ipofisirilasciamoltiormonifondamentali
Ipofisi posteriore
Gliormonidirilasciodell’ipotalamoinfluenzano l’ipofisianteriore
Ormoni tropici dell’ipofisi anteriore
secernonoormoni 123
Gliormonidellatiroideregolanocrescita emetabolismo 123 L’epifisisecernelamelatonina 124
5.4GLI ORMONI REGOLANO I COMPORTAMENTI SOCIALI E VICEVERSA 125
Legonadiproduconogliormonisteroidei, regolandolariproduzione 125
Relazioni tra gli ormoni gonadici
Gliormonipossonocondizionare ilcomportamentosociale
Ilcomportamentosocialepuòinfluenzare gliormoni
Ilsistemaormonaleeilsistemanervoso interagisconoproducendorisposteintegrate 129
FOCUS 5.1 Le tecniche della moderna endocrinologia comportamentale
Non siamo poi così diversi, vero? 132
6.1COM’È APPARSA L’ENORME VARIETÀ DI SPECIE SULLA TERRA?
133
L’evoluzioneèilrisultatodidifferenzeindividuali alivelloriproduttivo 133
Laselezionenaturalestabilizzaalcune caratteristichemanemodificaaltre 134
L’evoluzionepuòconvergeresusoluzionisimili inspeciediverse 134
Quanto è stretta la relazione tra due specie? 135
Metodirecentipermettonodiclassificare glianimaliefarecongetturesull’evoluzione 136
6.2PERCHÉ DOVREMMO STUDIARE ALTRE SPECIE? 137
Vitecomplessenecessitanodicervellicomplessi 139
Isisteminervosidegliinvertebratipiùsemplici offronomodellidelfunzionamentoneurale 139
6.3TUTTI I CERVELLI DEI VERTEBRATI HANNO IN COMUNE LE STESSE STRUTTURE DI BASE 141
Tuttiisisteminervosideivertebraticondividono alcunecaratteristicheprincipalimadifferiscono inaltre 141
6.4L’EVOLUZIONE DEL CERVELLO DEI VERTEBRATI RISPECCHIA CAMBIAMENTI NEL COMPORTAMENTO
144
I fossili e gli animali attuali rivelano l’evoluzione delcervello 144
Nelcorsodell’evoluzioneilcervellodeivertebrati ècambiatointerminisiadidimensionesiadi organizzazione 144
Ladimensionedelcervellosièevolutainmodo indipendentenellemolteplicidiscendenze 145
Il fattore di encefalizzazione 145
Le dimensioni del cervello in funzione dell’adattamento 146
6.5MOLTI FATTORI HANNO PORTATO
ALLA RAPIDA EVOLUZIONE DI UN’AMPIA CORTECCIA CEREBRALE NEI PRIMATI
Ilcervellodegliomininisièingrandito rapidamentenellanostraevoluzionerecente 148
Ledimensionidelcervellodegliominini rispecchianopressioniselettiveopposte 149
Ladimensionedelcervelloprediceilsuccesso adattivoaunnuovoambiente 151
Laselezionesessualepuòavercontribuito all’espansionedelcervellonegliominini 151
Lespeciediprimatihannounadiversa espressionegenica
6.6 L’EVOLUZIONE CONTINUA ANCHE OGGI
FOCUS 6.1 Perché dovremmo studiare particolari specie? 138 FOCUS 6.2 A ciascuno il proprio mondo sensoriale
FOCUS 6.3 La psicologia evoluzionistica
Gli esseri umani si stanno ancora evolvendo?
CAPITOLO
7.1LO SVILUPPO NEURALE È GUIDATO DALL’INTERAZIONE DI FATTORI GENETICI E
Losvilupponeuraledipendedasegnali cheregolanol’espressionegenica 159
Glieffettidellemalattiegenetichepossono dipenderedafattoriambientali 162
7.2LO SVILUPPO DEL SISTEMA NERVOSO PUÒ ESSERE DIVISO IN SEI FASI DISTINTE
Laproliferazionecellulareproducecellule chediventerannoneuroniocellulegliali 163
Lecellulenervoseneoformatemigrano 164
Nelleregionidelcervellodinuovaformazione lecellulesidifferenzianoinneuroni 165
Gliassonieidendritidineuronigiovanicrescono inmodoestesoeformanosinapsi 167
Lamortedimoltineuronièuneventonormale dellosviluppo 169
Ifattorineurotroficiconsentonoaineuroni disopravvivereecrescere 170
7.3IL RIARRANGIAMENTO SINAPTICO DURANTE ILCICLODIVITAÈGUIDATODALL’ESPERIENZA 171
Laritenzioneditroppesinapsipuòinterferire conlosviluppointellettivo 172
Ilsistemavisivodialcunivertebratisipuò rigenerareinetàadulta 174 Ladeprivazionevisivapuòcondurreacecità 174
L’esposizioneprecoceaconfigurazionivisive stimolal’affinamentodellaselettività delleconnessioninelsistemavisivo 175
7.4L’ESPERIENZA PUÒ CONDIZIONARE LO SVILUPPO DEL CERVELLO ALTERANDO L’ESPRESSIONE GENICA 177
L’esperienzaregolal’espressionegenica durantelosviluppocerebralee nelcervellomaturo
7.5ILCERVELLOCONTINUAACAMBIARECONL’ETÀ 181
Idisturbidimemoriacorrelano conunariduzionedelvolumedell’ippocampo durantel’invecchiamento 181
LamalattiadiAlzheimerècausatadalleplacche diamiloide? 181
RICERCHED’AVANGUARDIA Sfruttare la glia per correggere l’alterazione genica che causa una malattia cerebrale ereditaria 179
CAPITOLO 8
L’elaborazionesensoriale 186
Isistemisensorialidiparticolarianimalihanno unintervalloristrettodirispostaaglistimoli 186
Chetipodistimoloera? 187
L’elaborazionesensorialehaorigine nellecellulerecettoriali 188
Ilprimostadiodell’elaborazionesensoriale consistenelcambiamentodipotenzialielettrici nellecellulerecettoriali 188
Lacodifica:glieventisensorialisonorappresentati dapotenzialid’azione 189
L’intensità di uno stimolo 189
La localizzazione di uno stimolo 189
L’adattamento:larispostadeirecettori puòdiminuireancheselostimolopersiste 189
Lasoppressione:alcunevolteènecessario cheirecettoritacciano
Leviesensoriali:livellisuccessividelSNC elaboranoleinformazionisensoriali
190
190
Icampirecettivi:checosaaccendeunaspecifica cellularecettoriale? 190
I campi recettivi della corteccia cerebrale
L’attenzione:comenotiamoalcunistimoli manonaltri?
Ilsistemadellecolonnedorsalitrasmette l’informazionesomatosensorialedallapelle all’encefalo
Laplasticitàdellemappecorticali:icampirecettivi possonoesseremodificatidall’esperienza
8.3NELL’ESSERE UMANO IL DOLORE
Irecettoriperifericicaptanoilmessaggioiniziale
Ilregnodeldoloresitrovaprincipalmente nelcervello
Sviluppare un’insensibilità alle tossine 201
9.1LE ONDE DI PRESSIONE NELL’ARIA VENGONO PERCEPITECOMESUONI
L’orecchioesternocattura,focalizza efiltrailsuono 213
L’orecchiomedioconcentraleenergiesonore 213
Lacocleaconvertel’energiadellavibrazione inattivitàneurale 214
Processimeccaniciattivinellacocleamigliorano ladiscriminazionedellafrequenzadelsuono 217
9.2I SEGNALI UDITIVI DECORRONO
CORTECCIA 217
9.3SISTEMI SOTTOCORTICALI SPECIALIZZATI RICAVANO INFORMAZIONI CRUCIALI
DAI SEGNALI UDITIVI IN ENTRATA 219
L’informazionesull’altezzadelsuono vienecodificatainduemodicomplementari
Isistemiuditivideltroncodell’encefalo sonospecializzatiperlocalizzareisuoni 220
9.4LA CORTECCIA UDITIVA ELABORA
SUONI COMPLESSI 222
L’esperienzacambialapercezione elevienervoseuditive 223
9.5MOLTE PERSONE SPERIMENTANO
LA PERDITA DELL’UDITO 224
Cisonotrecauseprincipalidiperditadell’udito edisordità 225
I trattamenti per la perdita dell’udito si focalizzano sullasostituzionedellastimolazionemancante 227
LA PERCEZIONE VESTIBOLARE 228
9.6UN SISTEMA DELL’ORECCHIO INTERNO RILEVA LA GRAVITÀ E L’ACCELERAZIONE
Strutturevestibolarispecializzate catturanoimovimentidelcaponelletredimensioni dellospazio 228
L’informazionevestibolareèlargamente elaborataneltroncodell’encefalo 229
Alcunitipidieccitazionevestibolare produconochinetosi 230
I SENSI CHIMICI: IL GUSTO E L’OLFATTO 230
9.7LE SOSTANZE CHIMICHE NEGLI ALIMENTI VENGONO PERCEPITE COME GUSTI 230
Recettorispecializzatisullalinguacodificano cinquegustidistinti 231
Processicellularidiversitrasduconoigustidibase 232
L’informazionegustativaafferisceamolte partidelcervello 234
9.8LE SOSTANZE CHIMICHE NELL’ARIA SUSCITANO SENSAZIONI OLFATTIVE 236
Ilsenso dell’olfattoinizia coni neuroni recettorialinelnaso 237
Leparticelleodoroseeccitanomolecolerecettoriali specializzatepostesuineuronirecettorialiolfattivi 238
Gliassoniolfattivisiconnettonoconilbulboolfattivo, cheinviailsuooutputamolteareedelcervello 239
Moltivertebratipossiedono unsistemavomeronasale 240
RICERCHED’AVANGUARDIA Molto più che una questione di gusto 235
CAPITOLO 10
senza vedere
10.1LA RETINA TRASDUCE LA LUCE IN ATTIVITÀ NEURALE 244
Lalucevisibileèunabandaristretta diradiazionielettromagnetiche 244
L’occhiodeivertebratipresentaanalogie conunamacchinafotografica
Ifotorecettoritrasformanolaluce inreazionichimiche
MODULANO MOLTI ASPETTI DELLA NOSTRA VISIONE
Meccanismidiversipermettonoalsistemavisivo dirispondereaun’ampiagammadiintensità luminose
Lasensazionediluminositàècreata dalsistemavisivo
10.3I SEGNALI NEURALI PROVENIENTI DALLA RETINA RAGGIUNGONO DIVERSE REGIONIDELCERVELLO
La retina proietta al cervello in modo topografico
10.4NEURONI A LIVELLI DIFFERENTI DELSISTEMAVISIVOHANNOCAMPI RECETTIVI MOLTO
Ifotorecettorieccitanoalcunecelluleretiniche eneinibisconoaltre
IneuroninellaretinaenelNGLhannocampi recettiviconcentrici
Ineuronidellacortecciavisivahannocampi recettivicomplessiedivariotipo
Lamaggiorpartedellecelluledellacorteccia visivaprimariaèsensibileaspecifiche frequenzespaziali
L’areaV1intervienenellaformazionediimmagini mentali
I neuroni della corteccia visiva oltre l’area V1 hannocampirecettivicomplessiecontribuiscono all’identificazionedelleforme
L’areaV1èorganizzataincolonne
10.5LA VISIONE DEI COLORI DIPENDE DA CANALI
Lapercezionedelcolorerichiedelapresenza difotorecettorichedifferisconoperlaloro sensibilitàallediverselunghezzed’onda
Alcunecellulegangliariealcunecellule parvocellularidelNGLmostranoopponenza spettrale
Alcunecelluleeareevisivecorticalisembrano esserespecializzateperlapercezione delcolore
10.6LE NUMEROSE AREE VISIVE CORTICALI SONO ORGANIZZATE
Sistemiseparatianalizzanociòchevediamo edovelovediamo
Lapercezionedelmovimentoavvienegrazie aunsistemaspecializzatochecomprende l’areacorticaleV5
Laparteanterioredellaviadorsalecontiene neuronispecchio
10.7LE NEUROSCIENZE VISIVE POSSONO ESSERE APPLICATE PER MIGLIORARE
Idifettidellavistapossonospessoessere prevenutioridotti
Unaumentodieserciziopuòrestituire lafunzionalitàaunocchioprecedentemente deprivatootrascurato
FOCUS 10.1 Gli occhi dotati di lenti si sono sviluppati in diversi phyla
FOCUS 10.2 La maggior parte dei mammiferi ha una qualche forma di visione del colore
PROSPETTIVA COMPORTAMENTALE:
Icomportamentimotoripossonoessereanalizzati emisuratiinmoltimodi
Ilcontrollomotorionecessitadiuncompromesso traaccuratezzaevelocità
11.2LA PROSPETTIVA NEUROSCIENTIFICA MOSTRA
Ilsistemascheletricopermettealcuni movimentieneprecludealtri
Imuscolicontrollanoleazionidelsistema scheletrico
Imessaggineuraliraggiungonolefibremuscolari alivellodellagiunzioneneuromuscolare 280
Attacchi alla giunzione neuromuscolare
Ilfeedbacksensorialedamuscoli,tendini earticolazioniregolaimovimenti 281
Il fuso neuromuscolare
Iriflessispinalimedianolerisposte“automatiche”
Alcunepatologiedeimotoneuroniproduconodanni motorieconduconoallamorte
11.4LE VIE DISCENDENTI DAL CERVELLO CONTROLLANO DIFFERENTI ASPETTI
Lacortecciamotoriaprimariaoperaunmeccanismo dicontrollomotorioesecutivo,manonsolo
Il ruolo della corteccia motoria primaria nell’apprendimento
Lacortecciamotorianonprimariaaiuta l’esecuzionedisequenzemotorie
Ineuronispecchiodellacortecciapremotoria codificanoimovimentideglialtri
11.5ANCHE IL SISTEMA EXTRAPIRAMIDALE MODULA I COMANDI MOTORI 292
Inucleidellabasemodulanoimovimenti 292
Ilcervellettoguidaiprogrammimotori, lacoordinazioneel’apprendimentodiattimotori 293
Ilcervellettoeinucleidellabasecontribuiscono inmododiversoallamodulazionedellefunzioni motorie 293
Idannialcervellettocausanomolteplicitipi dideficitmotori
11.6LEMALATTIEDELCERVELLOPOSSONO ALTERARE IL MOVIMENTO 296
Alcunepatologiedellacortecciamotoriacausano determinatitipidideficitmotori 296
NellamalattiadiParkinsonlamorte dei neuroni dopamminergici altera l’attivitàdeinucleidellabase
LamalattiadiHuntingtonècaratterizzata dauneccessodimovimentiacausa deldeterioramentodeinucleidellabase 299
FOCUS 11.1 I neuroni corticali possono controllare i movimenti di un braccio robotico
FOCUS 11.2 Nella malattia di Parkinson potrebbe essere presente una degenerazione simil-prione 297
RICERCHED’AVANGUARDIA Le cellule gliali: il loro ruolo nella coordinazione motoria fine 295
Genitali e genere: che cosa fa di noi dei maschi e delle femmine? 302
IL COMPORTAMENTO SESSUALE 303
12.1IL COMPORTAMENTO RIPRODUTTIVO SI PUÒ SUDDIVIDERE IN QUATTRO STADI 303
L’accoppiamentounisceigameti perlariproduzione 304
Glisteroidi gonadiciattivano ilcomportamentosessuale 305
12.2I CIRCUITI NEURALI CEREBRALI REGOLANO IL COMPORTAMENTO RIPRODUTTIVO 306
Estrogenieprogesteroneregolano lalordosiagendosuuncircuitocheva dalcervelloaimuscoli 306
Gliandrogeniagisconosuunsistemaneurale perilcomportamentoriproduttivodeimaschi 307
Iferomoniguidanoilcomportamentoriproduttivo inmoltespecie 308
12.3LA CARATTERISTICA DEL COMPORTAMENTO SESSUALE UMANO È LA DIVERSITÀ 310
Gliormonihannosolamenteunruolopermissivo nelcomportamentosessualeumano 312
12.4MOLTI VERTEBRATI DIPENDONO DAI LORO GENITORI PER LA SOPRAVVIVENZA 312 IL DIFFERENZIAMENTO SESSUALE 314
12.5IL SESSO DI UN INDIVIDUO È DETERMINATO PRECOCEMENTE DURANTE LO SVILUPPO 314
Gliormonidellegonadidirigono ildifferenziamentosessualedelcorpo 314 Differenzenellasequenzaordinata deldifferenziamentosessualehanno comerisultatocambiamentiprevedibili dellosviluppo 315
Ilrecettorepergliandrogenidifettoso puòbloccarelamascolinizzazionemaschile 316
Alcunepersonesembranocambiaresesso conlapubertà 317
Comesideterminailgenere: daigeni,dallegonadi,daigenitalio dalcervello?
317
12.6GLI ORMONI DELLE GONADI DIRIGONO IL DIFFERENZIAMENTO SESSUALE DEL CERVELLO E DEL COMPORTAMENTO 318
Lesecrezionitesticolariprecocihanno comerisultatoilcomportamentomaschile inetàadulta
Imetabolitiestrogenicideltestosterone mascolinizzanoilsistemanervosoe ilcomportamentodeiroditori
318
318
Diverseregionidelsistemanervosomostrano unimportantedimorfismosessuale 321
Le regioni del cervello che controllano il canto negli uccelli canori maschi
321 L’area preottica dei ratti
321 Il midollo spinale dei mammiferi
Leinfluenzeambientaliincidono suldifferenziamento sessualedel sistemanervoso
322
323
12.7GLI ORMONI FETALI MASCOLINIZZANO I COMPORTAMENTI DELL’UOMO ADULTO? 324
Checosadeterminal’orientamentosessuale diunapersona?
326
FOCUS 12.1 Il paradossale differenziamento sessuale della iena maculata 320
RICERCHED’AVANGUARDIA L’esperienza sessuale consolida i circuiti neurali dell’accoppiamento 308
13.1L’OMEOSTASI MANTIENE UN AMBIENTE INTERNO COSTANTE: L’ESEMPIO DELLA TERMOREGOLAZIONE
Isistemiomeostaticicondividonodiverse caratteristichefondamentali
13.2L’ACQUA È ATTIVAMENTE
13.3DUE SEGNALI INTERNI PROVOCANO
Laseteosmoticaècausatada uncambiamentonellasalinitàdelliquido extracellulare
La regolazione omeostatica dei sali
Laseteipovolemicaèprovocata daunaperditad’acqua
Lasetenoncessaquandolagola elaboccasonoumide
13.4LA REGOLAZIONE DEI NUTRIENTI AIUTA
La maggiorparte del ciboè utilizzata comefonteenergetica
Ilnostrotassometabolicovariapermantenere ladisponibilitàenergetica
L’insulinaèessenzialeperottenere, immagazzinareeusarel’energiadelcibo
Nonostantelaloroimportanza,l’insulina eilglucosiononsonogliunicisegnali dellafameodellasazietà
13.5IL SISTEMA DI CONTROLLO IPOTALAMICO DELL’APPETITO INTEGRA MOLTEPLICI SEGNALI DI FAME 344
Segnaliperifericimultiplivengono integratidalcircuitodicontrollo ipotalamicodell’appetito
Leptina
Grelina
Il sistema di controllo dell’appetito del nucleo arcuato
Meccanismiipotalamicidisecondolivello integranoisegnalidiappetito 348
Anchealtrisistemiintervengononellafame enellasazietà 349
13.6L’OBESITÀ E I DISTURBI DEL COMPORTAMENTO ALIMENTARE
Lestrategieperl’obesitàriguardano moltedimensionidell’equilibrioenergetico
Il controllo dell’appetito
L’aumento del metabolismo
L’inibizione
Il trattamento chirurgico dell’obesità
13.1
termoregolazioni fisiologica e comportamentale sono integrate
13.2 Le scorte di grasso corporeo sono strettamente regolate, anche dopo rimozione chirurgica del grasso
CAPITOLO
Iritmicircadianisonoregolati
diluceraggiungedirettamenteilNSC
Lebasigenetichedeiritmicircadianisonostate identificateneitopieneimoscerini
Alcuniritmibiologicisonopiùlunghiopiùcorti
Imammiferidormonodipiùdurantel’infanzia rispettoall’etàadulta
La maggior parte degli individui dorme di meno conilpassaredeglianni
Ipatterndelsonnovengonoalteratiinmaniera prevedibiledallasuadeprivazione
Ilsonnoaiutailconsolidamentoditracce mnestiche 374
Alcuniesseriumanidormonomoltopoco, eppureriesconoasvolgereinmodonormale leattivitàquotidiane 376
14.5ALLA BASE DEL SONNO VI SONO ALMENO QUATTROSISTEMINEURALICHE INTERAGISCONOTRALORO 376
Ilprosencefalogenerailsonnoaondelente 376
Unsistemadeltroncoencefalicorisveglia ilprosencefalo 378
Il ponte determina l’avvio del sonno REM 378
Mediantelostudiodellanarcolessiaèstato scopertouncentroipotalamicodeputato alsonno 379
14.6I DISTURBI DEL SONNO POSSONO ESSERE GRAVI, A VOLTE ANCHE MORTALI 381
Alsonnosonoassociatealcunedisfunzioniminori 381
Colorochesoffronodiinsonniahannodifficoltà adaddormentarsioadormiresenzainterruzioni 381
Nonostantediversifarmaciinfluenzinoilsonno, nonesistelapillolaperfettaperdormire 383
FOCUS 14.1 La deprivazione di sonno può essere fatale 371 RICERCHED’AVANGUARDIA Eliminare le tossine 374
CAPITOLO 15 Le emozioni, l’aggressività e lo stress 386
Non provare paura è pericoloso 386
15.1LE TEORIE DELLE EMOZIONI INTEGRANO PROCESSI FISIOLOGICI E COMPORTAMENTALI 387
Sonoleemozioniacausarecambiamentifisici oviceversa? 388
StanleySchachterhapropostoun’interpretazione cognitivadeglistimoliedeglistativiscerali 388
Gliindividuisidistinguonoperlerisposteemozionali 390
15.2È POSSIBILE CHE UN INSIEME DI EMOZIONI SI SIA EVOLUTO NEGLI ESSERI UMANI E IN ALTRI ANIMALI? 390
Leemozioniorganizzanolenostrerisposte allesfideambientali 391
Leespressionifaccialihannofunzionicomplesse nellacomunicazione 392
15.3MECCANISMI NEURALI SPECIALIZZATI
MEDIANO L’ESPERIENZA E L’ESPRESSIONE DELLE EMOZIONI 394
Leespressionifaccialisonomediatedamuscoli, nervicranicieviedelSNC 394
Lastimolazioneelettricadelcervellopuòprodurre effettiemozionali 395
Lelesionicerebralihannoeffettosulleemozioni 395
L’amigdalaèdicrucialeimportanzaper ilcomportamentoemozionale,soprattutto perlapaura 396
Emozionidiverseattivanoregionidiverse delcervelloumano 400
15.4CIRCUITI NEURALI, ORMONI E TRASMETTITORI SINAPTICI MEDIANO LA VIOLENZA E L’AGGRESSIVITÀ 402
Gliandrogenisembranoaumentarel’aggressività 402 L’aggressivitàhamolticorrelatineurochimici 403
Labiopsicologiadellaviolenzaumana èunargomentocontroverso 404
15.5LOSTRESSATTIVAMOLTERISPOSTE CORPOREE 405
Larispostaallostresshamoltistadi 405
Esistonodifferenzeindividualinellarisposta allostress 406
Lostresseleemozionicolpisconoilsistema immunitario
Il sistema immunitario 409
La comunicazione tra i sistemi nervoso, immunitario ed endocrino
Stress psicologico e sistema immunitario
Perchélostresssopprimeilsistema immunitario? 411 FOCUS 15.1 Macchina della verità?
RICERCHED’AVANGUARDIA Cambiamenti sinaptici durante il condizionamento alla paura 399
16.1ILCOSTODEIDISTURBIPSICHIATRICI
Laschizofreniaèunagrandesfidaneurobiologica inpsichiatria 416
Laschizofreniahaunacomponenteereditaria 417
Studi di familiarità 417
Studi su soggetti adottati 417
Studi su gemelli 417
Geni individuali 419
Icervellidialcunepersoneconschizofrenia mostranocambiamentistrutturaliefunzionali 419
Anomalie ventricolari 419
Anomalie del sistema limbico 419
Anomalie corticali 420
Differenze nell’attivazione cerebrale 420
Ifarmaciantipsicoticihannorivoluzionato iltrattamentodellaschizofrenia 421
L’ipotesi dopamminergica 422
L’ipotesi glutammatergica 424
Unmodellopsicobiologicointegrativo dellaschizofreniaenfatizzal’interazione dimolteplicifattori 425
16.2I DISTURBI DELL’UMORE SONO LE PSICOPATOLOGIE PIÙ DIFFUSE
L’ereditarietàèunfattoredeterminante delladepressione
Ilcervellocambiaconladepressione
Èdisponibileun’ampiavarietàditrattamenti perladepressione
L’asseipotalamo-ipofisi-surreneècoinvolto nelladepressione
Perchéledonnesoffronodidepressionepiù degliuomini?
Lecaratteristichedelsonnocambiano neidisturbiaffettivi
Laricercanonhaancoraindividuatomodelli animalidelladepressione
16.3IL DISTURBO BIPOLARE COMPORTA CICLI ESTREMI DI UMORE ED ENERGIA
16.4NELL’ANSIA, DISTURBI POST-TRAUMATICI E DISTURBO OSSESSIVO-COMPULSIVO, PAURE E PREOCCUPAZIONI INTERFERISCONO CON LA VITA
Iltrattamentofarmacologicodell’ansiafornisce indizisuimeccanismidiquestodisturbo
Neldisturbopost-traumaticodastressiricordi terribilinonspariscono 437
Neldisturboossessivo-compulsivoipensieri eleazionisiripetono
FOCUS 16.1 Gli effetti a lungo termine dei farmaci antipsicotici
FOCUS 16.2 La stagione della depressione? 434
FOCUS 16.3 Tic, contrazione e sbuffi: l’insolita caratteristica della sindrome di Tourette 440
RICERCHED’AVANGUARDIA I nostri geni ci possono dire quali farmaci usare? 431
Intrappolato in un eterno presente
PerilpazienteH.M.ilpresentesvanisce nell’oblio
Lestrutturedellobotemporalemedialesono crucialiperlamemoriadichiarativa
Ancheundannoaldiencefalomediale puòcausareamnesia
Lacortecciaèessenzialeperimmagazzinare lememoriealungotermine
17.2FORME
Funzionispecifichedipendonodadiverseforme dimemorianondichiarativa
tracciadellaposizioneinretispaziali,temporali
17.3PROCESSI SUCCESSIVI CATTURANO,
Molteregionicerebralisonocoinvolte indiversiattributidellamemoriadilavoro
Leregionicerebralicoinvoltenell’apprendimento
Icambiamentiplasticialivellodellesinapsi possonoesserefunzionaliostrutturali
Leesperienzevariateel’apprendimento fannomodificareecrescereilcervello
Isisteminervosidegliinvertebratimostrano
Alcuneformediapprendimentosemplice neimammiferidipendonodacircuitinel cervelletto
PUÒ
L’LTPhaluogoindiversisitidellaformazione ippocampale
IrecettoriNMDAeirecettoriAMPAcollaborano nell’LTP
L’LTPèunmeccanismodiformazione dimemorie?
Nel cervello adulto, i neuroni di nuova nascita possonoaiutarel’apprendimento
Possiamoprevenireoalleviareglieffetti dell’invecchiamentosullamemoria?
L’ATTENZIONE 472
18.1L’ATTENZIONE SELEZIONA GLI STIMOLI DA ELABORARE 472
L’attenzionehadeilimiti 472
Possiamodecideredidirigerelanostra attenzioneversostimolispecifici 474
Alcunistimolicatturanolanostraattenzione 475
L’attenzioneciaiutaacercareschemispecifici inunmondodisordinato 477
18.2I BERSAGLI DELL’ATTENZIONE: L’ATTENZIONE INFLUENZA IL FUNZIONAMENTO DELLE PRINCIPALI AREE CEREBRALI 478
Glispostamentidell’attenzionesono marcatidapatterncaratteristici diattivitàelettricacerebrale 478
Leneuroimmaginiconfermanocheifoci anatomicidell’attenzionemostrano un’elaborazionepotenziata 481
L’attenzionealterailfunzionamentodisingoli neuroni 482
18.3FONTI DELL’ATTENZIONE: UNA RETE DI SITI
CEREBRALI CREA E DIRIGE L’ATTENZIONE 483
Glispostamentiattenzionalisonoguidati daduesistemisottocorticali 484
Il collicolo superiore 484
Il pulvinar 484
Diverseregionidellacortecciasonofondamentali pergenerareeindirizzarel’attenzione 484
Un sistema frontoparietale per il controllo volontario (top-down) dell’attenzione 484
Un sistema temporoparietale destro per gli spostamenti riflessivi (bottom-up) dell’attenzione 485
Lemalattiefornisconoindizirelativi all’organizzazionedell’attenzione 487
La eminegligenza spaziale 487
La sindrome di Bálint 487
Il deficit di attenzione/iperattività 488
PENSIERO E FUNZIONI ESECUTIVE 489
18.4LA COSCIENZA È UN MISTERIOSO PRODOTTO DEL CERVELLO 489
Qualisonoleregionicerebraliattivequando siamocoscienti? 489
Alcuniaspettidellacoscienzasonopiùfacili dastudiaredialtri 492
Unsistemaanterioreflessibilepianifica emonitorailnostrocomportamento 494
Prendiamodecisioniusandounaretefrontale chevagliaalternative,valutairischieivantaggi eguidaledecisionidiconseguenza 497
FOCUS 18.1 Risposte con tempi di reazione, dall’input all’output 475
FOCUS 18.2 Phineas Gage 495
Mettere a tacere la voce interiore 502
19.1IL CERVELLO SINISTRO È DIVERSO DAL CERVELLO DESTRO 503
Ladisconnessionedegliemisfericerebrali rivelalelorosingolespecializzazioni 503
Nella maggior parte delle persone, i due emisferi elaboranoleinformazioniinmododiverso 505 Il vantaggio dell’orecchio destro 505 La percezione visiva di stimoli linguistici 505
L’emisferosinistroel’emisferodestro hannospecializzazioniuditivediverse 506
Ladominanzamanualeèassociata allalateralizzazionecerebrale 507
19.2DANNIALL’EMISFERODESTRO COMPROMETTONOLACOGNIZIONE SPAZIALE 509
Nellaprosopagnosiaivoltirisultanoirriconoscibili 509
19.3LESIONI DELL’EMISFERO SINISTRO POSSONO CAUSARE L’AFASIA 511
Lesioniall’areaanterioresinistradel linguaggiocausanol’afasianonfluente (odiBroca) 513
Lesioniall’areaposterioresinistradellinguaggio causanol’afasiafluente(odiWernicke) 513
Lesioniestesedell’emisferosinistro possonodistruggereleabilitàlinguistiche 513
Modelliincompetizionedescrivono ilsistemalinguisticodell’emisferosinistro 514
Lastimolazionecorticaleforniscel’identificazione precisadelleareedellinguaggio 516
Leneuroimmaginifunzionalitracciano l’attivitàcerebralenelleareedellinguaggio 518
19.4I LINGUAGGI UMANI HANNO CARATTERISTICHE FONDAMENTALI COMUNI 520
Ilnostrocomportamentoverbalecomprende siacomponentiappresesiacomponenti nonapprese 520
Iprimatinonumaniutilizzanocomportamenti vocalicomplessi 523
L’addestramento linguistico in primati non umani 523
19.5LE ABILITÀ DI LETTURA SONO DIFFICILI DA ACQUISIRE E SPESSO COMPROMESSE 525
Dannicerebralipossonocausarespecifici deficitdilettura 525
Alcunepersonefaticanoaleggerepertutta lavita 526
19.6LA STABILIZZAZIONE E LA RIORGANIZZAZIONE SONO CRUCIALI PER IL RECUPERO FUNZIONALE DOPO UNA LESIONE CEREBRALE 527
Ilcervelloricresceesiriorganizza anatomicamentedopoesserestatolesionato 528
Lariabilitazioneel’eserciziopossonofacilitare ilrecuperodopounalesionealcervelloo almidollospinale 529
FOCUS 19.1 Il test di Wada 508
FOCUS 19.2 La sindrome di Williams fornisce informazioni sul linguaggio 522
FOCUS 19.3 Il comportamento vocale negli uccelli e in altre specie 524
FOCUS 19.4 L’incredibile resilienza del cervello di un bambino 528
RICERCHED’AVANGUARDIA Gli sport di contatto possono essere rischiosi 530
APPENDICE
A.1I GENI CONTENGONO L’INFORMAZIONE PER CODIFICARE LA SINTESI
L’informazionegeneticaèconservata nellemolecolediDNA 533
IlDNAvienetrascrittoperprodurreRNA messaggero 534
LemolecolediRNAdirigonolaformazione dellemolecoleproteiche 534
A.2CON LA BIOLOGIA MOLECOLARE SI MANIPOLANO ABILMENTE MICRORGANISMI ED ENZIMI 535
ISouthernblotidentificanogenispecifici 535
INorthernblotidentificanospecificitrascritti dimRNA 535
L’ibridazione in situ individualaposizione deglimRNAall’internodispecifichecellule 537
IWesternblotidentificanolaparte dell’organoodeltessutoincuivieneprodotta unaproteina 537
Glianticorpipossonodircianchequalicellule possiedonounaparticolareproteina 537
A.3LA MANIPOLAZIONE GENETICA CONSENTE LA PRODUZIONE DI ORGANISMI MODELLO 538
Aquestoindirizzosonodisponibililerisorsedigitalidicomplemento allibro:
universita.zanichelli.it/breedlove5e
Peraccedereallerisorseprotetteènecessarioregistrarsisu myzanichelli.it inserendo il codice di attivazione personale che si trovasulbollinoargentatonellaprimapaginadellibro.
Dalsitodellibroèpossibile:
• trovareillinkperi testinterattividiautovalutazione;
• svolgere attivitàinterattive (ininglese);
• accedereanumerosi video (ininglese);
• guardarela videointervistaaMaryanneWolfsulladislessia;
• consultarele sintesiillustrateinterattive;
• leggerecontenutidi approfondimento (ininglese);
• consultareil glossario;
• scaricarela bibliografiascientifica diriferimento;
• accederedirettamenteallaversione Ebook
Lerisorsedigitaliprotettesonodisponibiliperchiacquistaillibro nuovo.L’accessoall’Ebookeallerisorsedigitaliprotetteèpersonale,noncondivisibileenoncedibile,néautonomamentenéconla cessionedellibrocartaceo.
L’app laZGuarda!
Conl’app laZGuarda! sipuòaccedereaicontenutidigitaliin modoimmediatousandoundeviseportatile,comelosmartphone oiltablet.
Inquadrandol’iconapresentenellaprimapaginadiognicapitolosi puòaccedereaivideo,aitesteadaltrerisorsedigitali.
L’app laZGuarda! si scarica da App Store(sistemioperativiApple) edaGooglePlay(sistemioperativiAndroid).






Unodegliscopidiquestolibroedelcampodiricercadicuitratta consistenelcomprendereinchemodoimeccanismidelmondo materialemodulinoilcomportamentoumano.Nelcorsodelle varieedizioni(intredecadi)abbiamotentatodimostrareespiegareimeccanismidelnostrocervelloperfarcomprendereildolore,lavisione,l’amore,lafame,lamemoriaetuttalavastaericca gamma di esperienze di cui le vite umane sono composte. Ilcomportamentoumanoèunargomentomoltovastoe, lungoisecoli,lescopertescientifichehannopermessodicapirnemoltidettagli.Pertanto,questonostrocompito,moltoambizioso,richiedeunlavorocostantepermigliorareeaggiornareil libroeaiutareacoglieredettaglicrucialipercapirelapsicologia biologica.Lanovitàpiùrilevanterispettoalleprecedentiedizioni èstatal’inserimentodellarubrica Obiettividiapprendimento,

presenteinogniparagrafonumeratodellibro,chehalafunzione didareunbreveinquadramentodiquellocheverràspiegatonel testo,inmododafocalizzarel’attenzionesullequestionidimaggiorrilievo,efacilitarecosìl’apprendimento.Abbiamoancheaggiuntodelledomandedi Ripasso allafinedellesezionidiognicapitolo,inmodochechistudiapossaverificareseabbiarealmente compresoilmaterialeletto(secosìnonfosse,unbreveripassodel testopotrebbeessereutileprimadiprocedere).Un’altracaratteristicaimportanteèlarubrica Spuntidiriflessione,checontienedomandeapertepergenerareriflessioniediscussionirelative all’argomento appena illustrato.

CERVELLO,organoconcuipensiamociòchepensiamo. MENTE,unamisteriosaformadimateriasecreta dalcervello.Lasuaprincipaleattivitàconsiste nell’accertarelasuastessanaturamalafutilitàdi questotentativoèdovutaalfattochenonhanessunostrumento all’infuori di se stessa per conoscersi.
AmbroseBierce,1911(TheCollectedWorksofAmbroseBierce: VolumeVII,TheDevil’sDictionary, p.41,217)
Abbiamoanchemantenutoalcunecaratteristicheutiligiàpresentinelleedizioniprecedenti:nelle Ricerched’avanguardia, presentiinognicapitolo,sonoillustratialcunidegliesempipiù interessantiderivatidaglistudiscientificirecenti,eognicapitolo terminaconla Sintesiillustrata,contenenterimandigraficiper facilitareilripassodeicontenutiprincipali.Ancheinquestaedi-
Lafunzionesocialedeineuroniossitocinergici
Peranalizzareicontributideicircuitidell’ossitocinasulcomportamentosociale,unaricerca haesaminatoduediversepopolazionidineuroni ossitocinergicinelnucleoparaventricolaredell’ipotalamodeitopi(Y.Tangetal.,2020).Ineuroni macrocellulari(concorpicellularigrandi)proiettanogliassonisiaall’ipofisiposterioreperrilasciare ossitocinanelflussosanguigno,siaalleregioni delprosencefalochepromuoveilcomportamento sociale.Invece,ineuroniparvocellulari(conun corpocellularepiccolo),chesitrovanonelnucleo paraventricolare,noninvianoassoniall’ipofisipo-
(A)DREADDinibitorio
Tempospesoininterazionisociali(%)
Sol.salina CNO
steriore,mafannosinapsieattivanoilorovicini magnocellulari.Questineuroniparvocellularisono diversiancheinunaltromodo–neitopi,essiscaricanoinrispostaaltoccoleggerosulfianco.Per investigareillororuolonelleinterazionisociali,in unostudioèstatoinseritountransgenecosìche ineuroniparvocellulariesprimesseroiDREADD (recettoriprogettatiperlegareesclusivamente farmaciprogettati;Figura4.13).Questaprocedurapermettedisilenziareineuroniparvocellulari trattandoliconlasostanzasinteticaclozapina-Nossido(CNO).Quandoallafemminadeltopo vienedatal’occasionediinteragireliberamente, iltrattamentoconCNOriducesignificativamente iltempodiinterazioneconun’altrafemmina (Figura5.22A).Quandovieneusatountransgene diversocheagisceinmodochelastessasostanza inveceeccitiineuroniparvocellulari,leinterazioni socialisonoprolungate(Figura5.22B).Siipotizza cheiltoccoleggerodell’interazionedellefemmineattiviineuroniparvocellulari,chestimolanoi neuronimacrocellulariarilasciarelaloroossitocinanelleregioniprosencefalicheperpromuovere ulterioriinterazionisociali.
(B)DREADDeccitatorio
Sol.salina CNO
Figura5.22 Manipolazionediun circuitoossitocinergico. (A)Ineuroni ossitocinergiciparvocellularinelnucleo paraventricolaresonogeneralmentestimolati daltoccolieveaunlatodelcorpo.Quando questineuronisonostatitrasfettaticon unDREADDinibitorio,iltrattamentocon sufficienteCNOdasilenziareineuroni riduceval’interazionesocialeneitopi femmina.(B)Inaltritopièstatoinvece transfettatounDREADDeccitatorionei neuroni;iltrattamentoconCNOeccitava ineuronieprolungaval’interessenelle interazionisociali.(Fonte:Y.Tangetal., 2020, Nature 23:1125–1137).

zione,ognicapitoloiniziaconun’introduzioneincuisinarrano le esperienzedivitadiunapersona,cheverrannocompresein profonditànelcorsodellatrattazione;abbiamosostituitomolti diquestitesticonnuovicasiperinserirelenuovescoperteemergentinelcampodelleneuroscienzedelcomportamento.Iltestoè corredatodaun Glossario,disponibileindigitale,chesemplifica laricercadelledefinizionidurantelostudio,edaunasezionedi Lettureconsigliate,chechiudeognicapitolosuggerendorisorse aggiuntive da esplorare.
Tenersi al passo con la ricerca
Fortunatamenteilprogressoscientificoprosegueaunritmo moltorapido,ilchesignificacheinogniedizionedobbiamo faredelnostromeglioperincorporarenuovescopertecheriteniamoimportantiedobbiamo,nelcontempo,decideredi nonincludere lamaggiorpartediquestescopertesenonsono essenzialiperun excursus didatticosulcampodiricercainquestione.Siamomoltoselettivi,tuttaviacisembradiavereache fareconundiluviodinuoveinformazionieidee.Inquestaedizionecitiamo quasi800nuoviarticoli.Sevisembranomolti, eccoviun’ideadiquantiarticoliabbiamoinvece omesso.Sulnostrositodiinformazione(www.biopsychology.com/news),nel solo2021sonostatiaggiuntioltre1000nuoviarticoli.Sitratta discoperteritenuteabbastanzaimportantidaaverrichiamato l’attenzionedellastampageneralizzata.ComefacciamopresentenelCapitolo1,nel2021sonoapparsisuPubMed.govpiùdi 60000nuoviarticoliindicizzatisottoiltermine“neuroscienze”.Soloperelencarei titoli dituttiquestiarticolicivorrebbe untomomoltospesso!Dobbiamoconfessarechenonsolonon siamoriuscitialeggerliperintero,manonsiamoriuscitialeggere nemmeno tutti i titoli.
Anchesesiamostatimoltoselettivinellenostrescelterispettoaquestavalangadinuovericerche,abbiamofattodelleaggiuntesostanzialiinognicapitolo.Perdareunsoloesempiopercapitolo, abbiamo aggiunto:
• gliesoscheletricontrollaticonlamentedapersonetetraplegiche (Capitolo 1);
• il sistema glinfatico del cervello (Capitolo 2);
• l’associazionedelvirusEpstein-Barrconlasclerosimultipla (Capitolo 3);
• il continuo orrore dell’overdose da fentanil (Capitolo 4);
• lamanipolazionedeicircuitiossitocinergicipermodificareil comportamento sociale (Capitolo 5);
• iruolidell’esattamentoedelconnettomanell’evoluzionecerebrale (Capitolo 6);
• lascoraggianteperditadivolumecerebralenelcorsodellavita adulta (Capitolo 7);
• imeccanismiconcuileproteinePiezorilevanoiltatto(Capitolo 8);
• lascopertadinuovimeccanismirelativiallesensazioniperil salato e l’amaro (Capitolo 9);
• ilruoloinattesodeimitocondrinelfissarelaluceneifotorecettori (Capitolo 10);
• ilpromettenteusodeglioligonucleotidiantisenso(ASO)per combatteremalattiemotoriecomelamalattiadiHuntington (Capitolo 11);
• ilruolocentraledeicircuitidellagalaninanelcomportamento parentale (Capitolo 12);
• lenuovestrategiefarmacologichepercombatterel’obesità (Capitolo 13);
• lasconcertantescopertacheleondelenterilevateconl’EEG duranteilsonnosonosincronizzateconilflussodelliquido cerebrospinale (Capitolo 14);
• ilruolodeirecettoricannabinoidipercombattereilcondizionamento alla paura (Capitolo 15);
• l’usodistudiGWAS(analisidelgenoma)perlacomprensione del rischio di disturbi psicotici (Capitolo 16);
• unanuovateoriarelativaalladistribuzionedellamemoria alungoterminelungolostratoIdellacorteccia(Capitolo17);
• ilruolodelledinamichedellareteneuralenellacoscienza (Capitolo18);
• lacodificadeivoltinellacortecciatemporaleinferiore(Capitolo 19).
Sipotrebbedirechepertenereaggiornatoquestotesto«dobbiamocorrereilpiùvelocepossibileanchesoloperrestarenello stessoposto».Tuttequestenuovescopertehannoimplicatol’aggiunta di almeno una nuova figura per capitolo.
L’arrivo,nongradito,dellapandemiaCOVID-19haridirezionatomoltoilcamposcientificoeanchequestohalasciato unsegnoinquasiognicapitolo.Lapandemiahavistol’aumento dell’incidenzadidisturbid’ansiaedidepressione(Capitoli1e 16),ilvirushatalvoltacolpitoilsensodell’olfatto,sebbenegrazie allaneurogenesiadultaquestosiastatospessorecuperato(Capitolo9),illockdownhaacceleratolamiopiainbambinichesono statitenutiincasa(Capitolo10).Sonostateriscontrateforti differenzedisessobiologiconeitassidimortalitàdaCOVID-19 (Capitolo12),èstatoosservatochelamicrogliaècoinvoltain modomoltoimportantenell’infiammazionecerebralecausata dalvirus(Capitolo15)eillockdown,tralevariecose,haavuto anche effetti inaspettati sul canto degli uccelli (Capitolo 19)!
Magaripensatechedopopiùdiunquartodisecolosiamo stanchidicontinuareamigliorareerevisionarequestolibrodi testo,inveceloamiamoancoraproprioperchélaricercacontinua a progredire a un ritmo così vivace.


Eleanor era avviata verso un grande inizio del college, desiderosa di prendere parte a una vita fatta di lezioni e feste. La prima incrinatura nel suo ottimismo arrivò quando nel sistemare le sue cose, mentre lasciava una delle aule, sentì una voce che diceva, tranquillamente, «Sta lasciando l’edificio». Non c’era nessuno nella stanza con lei, tuttavia la voce era così chiara. Spaventata, Eleanor si affrettò verso casa, ma anche lì, appena arrivata, sentì di nuovo la stessa voce che diceva: «Sta aprendo la porta». Per settimane questa voce, distinta dal suo corpo, commentava in modo distaccato in terza persona ogni cosa che Eleanor faceva. Quando finalmente raccontò a un amico della “voce “, Eleanor venne guardata con sospetto e timore. Andò da un medico, catturando la sua piena attenzione quando cominciò a parlargli della “voce”. Così cominciò la sua battaglia con la schizofrenia, un disturbo che colpisce circa l’1% di individui in ogni società umana.
Eleanor arrivò a odiare la “voce” che le causava così tante attenzioni e sospetti. E sembrava che la sua ostilità verso la voce venisse presto ricambiata. Cominciò a sentire non solo una voce, ma diverse voci, che diventavano progressivamente più minacciose ed esigenti. Cominciarono a cercare di indurre Eleanor a farsi del male, così i suoi genitori iniziarono a nascondere la coltelleria. Quando una voce disse a Eleanor di prendere il bicchiere di acqua sul banco del suo docente e di gettarglielo in faccia, questi non ne fu affatto divertito. Eleanor diventò un bersaglio, etichettata come diversa e disturbata, diventando oggetto di ostracismo e di scherno verbale da parte dei suoi compagni. La vita che aveva sperato sembrava essere persa per sempre. Un medico le disse: “Eleanor, sarebbe stato meglio che tu avessi un cancro, perché è più facile curare un cancro che la schizofrenia” (Longden, 2013, p. 37). La vita di Eleanor era davvero finita?
Scarica laZ Guarda! e inquadra qui per vedere le risorse digitali di questo capitolo
Malattie mentali disabilitanti hanno afflitto l’umanità attraverso la storia, gettando le loro vittime in un abisso di pensieri disturbati e caos emotivo. Le malattie psicopatologiche affliggono milioni di persone in tutto il mondo, non solo una minoranza esotica. I semi per una prospettiva biologica in psichiatria furono piantati all’inizio del XX secolo, quando centinaia di pazienti sono stati ricoverati negli ospedali psichiatrici con una malattia chiamata demenza paralitica. Questa malattia era caratterizzata dall’improvvisa insorgenza di deliri (false convinzioni mantenute con forza nonostante l’evidenza del contrario), grandiosità (eccessiva importanza di sé), euforia, scarsa capacità di giudizio e comportamento capriccioso e impulsivo, ed era spesso attribuito a un “carattere debole”. Tuttavia, nel 1911, il microbiologo Hideyo Noguchi (1876-1928) scoprì che il cervello delle persone che soffrivano di questo disturbo era stato ampiamente danneggiato dalla sifilide, una malattia batterica a trasmissione sessuale. La malattia mentale ebbe un nuovo nome, psicosi sifilitica, e la successiva scoperta dell’efficacia degli antibiotici contro il batterio che causa la sifilide fece presto diventare la psicosi sifilitica una rarità. Questa importante connessione tra un problema biologico e una malattia mentale incoraggiò la ricerca del XX secolo a chiedersi se altri disturbi psichiatrici avessero origini fisiologiche.

Figura 16.3 Voci allucinanti. La lotta del matematico John Nash con la schizofrenia è descritta nel film vincitore di un Oscar A Beautiful Mind
Il film lo ritrae in preda di elaborate allucinazioni visive, ma nella realtà le sue allucinazioni erano esclusivamente uditive ed egli soffriva di deliri che alimentavano il suo pensiero paranoide. Le allucinazioni uditive sono comuni nella schizofrenia, mentre quelle visive sono alquanto rare. [© EFE/Zuma Press.]
mento affettivo potrebbe essere limitato all’espressione emozionale – segnali facciali e corporei – e la regolazione delle emozioni, comprese la descrizione e l’accettazione degli stati emotivi (Kring e Elis, 2013; Lawlor et al., 2020). Il fatto che i sintomi positivi e negativi rispondano differentemente ai trattamenti farmacologici suggerisce che essi derivino da anomalie neurali diverse. Allo stesso modo, probabilmente esistono molti tipi diversi di schizofrenia, che variano a seconda del relativo grado di paranoia, appiattimento affettivo o deterioramento cognitivo (Tabella 16.2).
La schizofrenia ha una componente ereditaria
Una serie di approcci ha reso evidente che esiste una forte componente genetica della schizofrenia, ma più avanti in questo capitolo vedremo che esiste anche una forte evidenza relativamente al fatto che lo stress aumenta la probabilità dell’insorgere della
Sintomi della schizofrenia
Dimensione dei sintomi Categoria dei sintomi
Sintomi positivi
Sintomi che sono presenti ma non dovrebbero esserlo
Sintomi negativi
Caratteristiche dell’individuo che sono assenti ma dovrebbero essere presenti
Psicosi
Allucinazioni
Deliri
Pensiero e discorso disorganizzati
Comportamenti bizzarri
Disregolazione emotiva
Mancanza di espressione emozionale
Espressioni facciali ridotte (appiattimento affettivo)
Incapacità di esperire il piacere nelle attività quotidiane (anedonia)
Compromissione della motivazione
Ridotta conversazione (alogia)
Diminuzione della capacità di iniziare o sostenere attività
Ritiro sociale
Sintomi cognitivi
Problemi a elaborare informazioni esterne e ad agire sulla base di esse
Compromissione neurocognitiva
Problemi di memoria
Scarso span attentivo
Difficolta di pianificazione
Ridotta capacità di prendere decisioni
Scarsa cognizione sociale
Pattern di movimento anomali
malattia. Possiamo perciò considerare gli studi di cui ci occuperemo come una prova di una suscettibilità genetica allo stress che può portare alla schizofrenia.
Studi di familiarità
Se la schizofrenia fosse ereditaria, i parenti di soggetti con schizofrenia dovrebbero mostrare un’incidenza del disturbo maggiore di quanto si riscontri nella popolazione generale. Inoltre, il rischio di schizofrenia tra parenti dovrebbe aumentare con la vicinanza della parentela, in quanto parenti più stretti condividono un numero maggiore di geni. In effetti, i genitori e i fratelli di persone con schizofrenia presentano un rischio maggiore di sviluppare schizofrenia di quanto si osserva negli individui della popolazione generale (Figura 16.4). Tuttavia, le modalità attraverso cui si eredita la schizofrenia non sono semplici: ovvero, non coinvolgono un singolo gene recessivo o dominante (Hyman, 2018). Piuttosto, nello sviluppo della schizofrenia sembrano svolgere un ruolo molti geni. Studi su soggetti adottati
È facile trovare errori relativamente agli studi di familiarità. Essi tendono a confondere i fattori ereditari e ambientali perché i membri di una famiglia li condividono entrambi. Ma cosa dire dei bambini che non sono cresciuti con i loro genitori biologici?
In effetti, gli studi su persone adottate hanno confermato l’importanza dei fattori genetici nella schizofrenia. I genitori biologici di figli adottati che soffrono di schizofrenia hanno una probabilità molto maggiore di aver sofferto di questo disturbo rispetto ai genitori adottivi (Foley et al., 2017).
Studi su gemelli Negli studi su gemelli la natura fornisce ai ricercatori quelle che sembrano essere le condizioni perfette per un esperimento genetico. I gemelli umani provenienti dallo stesso ovulo fecondato –chiamati gemelli monozigoti (identici) – condividono lo stesso identico insieme di geni (Bruder et al., 2008). I gemelli provenienti da due diversi ovuli – gemelli dizigoti (fraterni) – come tutti gli altri fratelli hanno solo metà dei loro geni in comune.
Popolazione generale
Coniuge
Primi cugini (terzo grado)
Zia/zio
Nipoti (da zii)
Nipoti (da nonni)
Fratellastri
Figli
Fratelli
Fratelli con un genitore schizofrenico
Gemelli dizigoti
Genitori
Gemelli monozigoti
Nessuna parentela (o parentela lontana)
Parenti di secondo grado
Parenti di primo grado
Rischio di sviluppare schizofrenia nel corso della vita (%)
Figura 16.4 Ereditarietà della schizofrenia. Più vicina è la parentela di qualcuno a un paziente schizofrenico, più elevate sono le probabilità che anche quella persona sviluppi schizofrenia. [Fonte: I.I. Gottesman, 1991. Schizophrenia genesis: The origins of madness. Freeman: New York.]




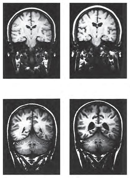
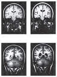
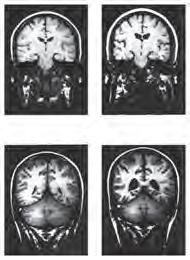
Figura 16.7 Geni identici, destini diversi. Sebbene i due membri di ciascuna coppia di gemelli monozigoti qui mostrati abbiano gli stessi geni, solo uno dei gemelli (quello con i ventricoli più dilatati) ha sviluppato la schizofrenia. [Fonte: E.F. Torrey et al., 1994. Schizophrenia and manic depressive disorder. Basic Books: New York; RMI per gentile concessione di E. Fuller Torrey and Daniel Weinburger.]

16.8 Ventricoli dilatati in un modello di topo. Topi transgenici che esprimono la versione mutante del gene DISC1, il gene associato con la schizofrenia negli esseri umani, sviluppano ventricoli dilatati (le regioni in verde in queste ricostruzioni) che ricordano i ventricoli dilatati delle persone con schizofrenia. [Fonte: M. V. Pletnikov et al., 2008. Mol Psychiatry 13:13–186. Riproduzione autorizzata da Springer Nature.]
be causare l’allargamento ventricolare nei pazienti con schizofrenia. In effetti, tra gemelli che sono discordanti per la schizofrenia, l’ippocampo e l’amigdala sono più piccoli nel gemello malato. Gli studi post-mortem sui pazienti schizofrenici hanno rivelato anomalie in molte parti del sistema limbico, inclusi l’ippocampo, l’amigdala e le regioni paraippocampali. Le cellule piramidali ippocampali delle persone con schizofrenia appaiono in numero minore e disorganizzate (Figura 16.9), probabilmente a causa di una disposizione sinaptica anomala sia degli ingressi sia delle uscite di queste cellule (F. Chen et al., 2020; Heckers e Konradi, 2002). Le evidenze suggeriscono che possano esserci anomalie diffuse nell’attività del sistema limbico che si estendono dall’ippocampo fino ad altre strutture limbiche, quali la corteccia entorinale, la corteccia paraippocampale e la corteccia cingolata, così come una connettività tra l’ippocampo e altre regioni corticali (Avery et al., 2018; Bubb et al., 2018).
La disorganizzazione cellulare della schizofrenia probabilmente inizia durante le fasi precoci dello sviluppo cellulare. Dato che però ora sappiamo che gli esseri umani producono nuovi neuroni per tutta la vita, in particolare nell’ippocampo (Capitolo 7), una neurogenesi anomala o un’integrazione disordinata delle cellule appena nate potrebbero contribuire allo sviluppo della schizofrenia.
Anomalie corticali
I pazienti schizofrenici differiscono dai controlli nella struttura e nell’attività funzionale del corpo calloso (Olabi et al., 2011) che
connette i due emisferi cerebrali. Molti studi hanno riportato una perdita di sostanza grigia più accelerata durante l’adolescenza nei pazienti schizofrenici che nei controlli (Y. Chung et al., 2015; Karlsgodt et al., 2010) (Figura 16.10). Questo assottigliamento della sostanza grigia si pensa rifletta la perdita netta di sinapsi durante lo sviluppo (Figure 7.17 e 7.18), cosa che risulta affascinante se si ricorda che molti geni associati con la schizofrenia sono coinvolti nel rimodellamento delle sinapsi. Oltre ai cambiamenti strutturali nella corteccia, cosa sappiamo dell’attività della corteccia nella schizofrenia?
Differenze nell’attivazione cerebrale
Le persone con schizofrenia tendono ad avere prestazioni ridotte nei test neuropsicologici sensibili alle lesioni corticali frontali. Queste scoperte hanno sollevato la possibilità che la corteccia prefrontale possa essere compromessa nella schizofrenia. Le prime indagini, compiute utilizzando la PET, indicano che i pazienti con schizofrenia mostravano una minore attività metabolica nei lobi frontali rispetto ai lobi posteriori, mentre i soggetti di controllo avevano un’uguale attivazione della corteccia frontale e posteriore (M.S. Buchsbaum et al., 1984). I neuroni della corteccia frontale di persone con schizofrenia presentano dendriti con una ridotta densità di spine sinaptiche rispetto ai controlli (Forrest et al., 2018), che può contribuire a una corteccia frontale meno attiva. Queste e altre osservazioni hanno innescato un interesse rispetto al ruolo dei lobi frontali nella schizofrenia (Minzenberg et al., 2009; Penadés et al., 2017). In gemelli identici discordanti, si os-








Anteriore (B) (C)

Organizzato



Anteriore
Mediale
Posteriore










Fornice Ippocampo Giro dentato


Adolescenti saniAdolescenti con schizofrenia


CA3






Giro dentato (E)


Disorganizzato
Figura 16.9 Disorganizzazione cellulare dell’ippocampo nella schizofrenia cronica. (A) In questa sezione orizzontale degli emisferi cerebrali è mostrata la localizzazione dell’ippocampo (in verde). (B) Ingrandimenti dell’ippocampo e del fornice mostrano la localizzazione dei segmenti ippocampali anteriore, mediale e posteriore. (C) L’ippocampo e il giro dentato sono ingranditi in questa sezione trasversale. (D) L’ippocampo è suddiviso in tre regioni: CA1, CA2 e CA3 (“CA” sta per cornu ammonis, o “corno di Ammone”, un altro nome dell’ippocampo). (E) In queste sezioni trasversali dell’ippocampo è messo a confronto l’orientamento delle cellule piramidali di un controllo (in alto) e quello di un paziente con schizofrenia (in basso). (Fonte: J.A. Kovelman e A.B. Scheibel, 1984. Biol Psychiatry 19:1601–1621.]

servano un ridotto flusso sanguigno e cambiamenti associati nella materia grigia solo nel gemello con schizofrenia (T.D. Cannon et al., 2002). Un aumento dell’attività della corteccia frontale è associato con i farmaci che alleviano i sintomi della schizofrenia (Vogel et al., 2016). Infatti, alcune delle scoperte più rivoluzionarie relative alla schizofrenia non vengono da studi su differenze strutturali o funzionali, bensì dalla scoperta di farmaci antipsicotici.
I farmaci antipsicotici hanno rivoluzionato il trattamento della schizofrenia
Negli anni Trenta del secolo scorso non esistevano trattamenti efficaci per curare la schizofrenia. Dal momento che spesso non erano in grado di prendersi cura di sé, i pazienti venivano ricoverati in istituti assistenziali. In molti casi la salute e il benessere dei pazienti in questi enti (poco finanziati) erano molto trascurati, portando a scandali ricorrenti. Così, forse per disperazione, gli psichiatri ricorsero alla lobotomia, che consiste nella separazione chirurgica di una porzione dei lobi frontali dal resto del cervel-
Figura 16.10 Perdita accelerata di sostanza grigia negli adolescenti con schizofrenia. Nonostante la perdita di sostanza grigia sia una parte normale dello sviluppo, gli adolescenti con schizofrenia (a destra) perdono sostanza grigia in vaste regioni cerebrali con una velocità maggiore rispetto agli adolescenti sani (a sinistra). (Fonte: P.M. Thompson et al., 2001. Proc Natl Acad Sci USA 98:11650–11655. © 2001 National Academy of Sciences, U.S.A.]
lo, come trattamento contro la schizofrenia. Sicuramente non vi erano evidenze scientifiche sufficienti per far pensare che il trattamento chirurgico sarebbe stato efficace. Ma i primi che la praticarono riportarono di guarigioni quasi miracolose che, retrospettivamente, devono essere viste come una pia illusione da parte degli psichiatri. Il trattamento chirurgico poteva aver reso i pazienti più gestibili, ma raramente qualcuno di loro è stato in grado di poter lasciare il luogo di ricovero. Praticate per la maggior parte dei disturbi mentali, non solo per la schizofrenia, le lobotomie sono state eseguite su circa 40 000 persone solo negli Stati Uniti (Kopell et al., 2005). Una delle ultime persone sottoposte a lobotomia è stato Howard Dully, la cui matrigna portò il ragazzino ribelle, di 12 anni, da molti psichiatri, trovandone infine uno che si mostrò disponibile a fare una diagnosi di schizofrenia. Questa diagnosi fu usata per giustificare un intervento di lobotomia sul ragazzo, nel 1960 (Figura 16.11). Howard non fu in grado fino ai 50 anni di comprendere quanto gli era successo da ragazzo, un’esperienza che racconterà in modo commovente nel suo libro di memorie My lobotomy (Dully e Fleming, 2007).
TABELLA 16.4
Farmaci utilizzati per il trattamento della depressione
Classe farmacologica
Meccanismo d’azione
Inibitori della monoamminossidasi (MAOI) Inibiscono l’enzima monoamminossidasi, che scompone serotonina, norepinefrina e dopammina
Triciclici ed eterociclici
Inibitori selettivi della ricaptazione della serotonina (SSRI)
Antidepressivi di seconda generazione e farmaci sperimentali
Inibiscono la ricaptazione di norepinefrina, serotonina e/o dopammina
Bloccano la ricaptazione di serotonina, con scarsi effetti sulle sinapsi della norepinefrina o della dopammina
Inibitori della ricaptazione della noradrenalina e dopammina (NDRI), inibitori della ricaptazione di serotonina e noradrenalina (SNRI), antidepressivi noradrenergici e serotoninergici specifici (NaSSA), antagonisti e inibitori della ricaptazione della serotonina (SARI), modulatori dei recettori per gli oppioidi, ketammina
a Sono usati più comunemente i nomi commerciali rispetto ai nomi chimici.
Per le persone con una depressione da lieve a moderata, i farmaci e il placebo hanno mostrato la stessa ef cacia
Esempia
Marplan, Nardil, Parnate
Elavil, Wellbutrin, Aventyl, Ludiomil, Norpramin
Prozac, Paxil, Zoloft
Wellbutrin/Zyban (NDRI), Effexor (SNRI), Remeron (NaSSA), Oleptro (SARI), Buprenex (modulatore dei recettori per gli oppioidi)
Solo nelle persone con una depressione molto grave all’inizio, circa il 13% dei casi, il farmaco è risultato più ef cace del placebo
Gravità della depressione all’insorgenza
Figura 16.20 Quando gli antidepressivi sono più efficaci del placebo? Utilizzando le misure e i criteri tradizionali per la depressione, gli SSRI sembrano essere più efficaci in persone con una depressione grave, ma comunque si possono rilevare benefici più lievi in persone con una depressione meno grave se vengono utilizzati degli strumenti di misurazione più sensibili (Hieronymus et al., 2020). [Fonte: J.C. Fournier et al., 2010. JAMA 303:47–53.]
Perciò, anche se il supporto della serotonina aiuta alcune persone, la loro depressione potrebbe essere stata originariamente causata da altri fattori nel cervello.
Gli inibitori di seconda generazione della ricaptazione delle monoammine, detti inibitori della ricaptazione di serotonina e noradrenalina (SNRI), hanno effetto sulla disponibilità sinaptica della norepinefrina oltre a bloccare la ricaptazione della serotonina (Hillhouse e Porter, 2015). Non è chiaro se questi farmaci, come Effexor® (venlafaxina), Cymbalta® (duloxetina) e Pristiq® (desvenlafaxina), offrano un maggiore beneficio per le persone con depressione rispetto agli SSRI, e sono altrettanto lenti nei loro effetti sull’umore (Magni et al., 2013). Si stanno studiando come possibili antidepressivi anche farmaci che hanno un effetto su altre vie di segnalazione; per esempio, l’antagonista del recettore del glutammato, la ketammina (Capitolo 4) fornisce sollievo dalla depressione quasi istantaneamente (Sanacora et al., 2017), al contrario degli SSRI e degli SNRI, che tipicamente devono essere presi per settimane prima che si possano osservare effetti sull’umore. Vi sono anche evidenze che sostanze psichedeliche come la psilocibina e l’LSD possano dare rapido sollievo dalla depressione (Nutt et al., 2020) (Tabella 4.4). La ricerca sta
lavorando per sviluppare farmaci che presentino i benefici terapeutici delle sostanze psichedeliche senza gli effetti psichedelici (D. Cao et al., 2022; Service, 2022).
La ricerca clinica ha confermato che, calcolata la media tra gruppi di persone con depressione, gli antidepressivi di prima e seconda generazione sono in effetti efficaci, ma che gli effetti positivi complessivi sono piuttosto ridotti (Cipriani et al., 2018). Tuttavia, i dati presi da gruppi potrebbero sottostimare il beneficio degli antidepressivi per molte persone, perché i farmaci non aiutano tutte le persone depresse e possono essere accompagnati da effetti collaterali sgradevoli che inducono le persone a smettere di assumerli, portando a medie di gruppo sulle misure di efficacia che sono inferiori. In alcuni trial controllati con placebo, una proporzione significativa di persone che prendeva il placebo riportava di sentirsi meglio, il che suggerisce che almeno alcune persone che sono aiutate dagli SSRi stanno in realtà traendo beneficio dall’effetto placebo, probabilmente a causa di un effetto dell’aspettativa sull’amigdala (Berton e Nestler, 2006; Zilcha-Mano et al., 2019). La ricerca suggerisce anche che gli SSRI hanno maggiore beneficio in persone con casi di depressione più gravi (Fournier et al., 2010) (Figura 16.20), anche se degli effetti positivi possono
essere rilevati in casi più lievi se vengono usati strumenti di misura più sensibili (Hieronymus et al., 2019, 2020). In ogni caso, se gli antidepressivi migliorino sufficientemente la qualità della vita delle persone e quali siano le caratteristiche individuali di coloro che ne beneficiano di più rappresentano delle prospettive importanti per ricerche future (Hengartner e Plöderl, 2022).
Sono stati prescritti antidepressivi a milioni di bambini e adolescenti, ma non ci sono ancora evidenze, o ce ne sono poche, che questi farmaci, con la possibile eccezione della fluoxetina (Prozac®), abbiano effetti benefici anche in popolazioni pediatriche (Cipriani et al., 2016). Questo costituisce un fatto preoccupante, perché evidenze suggeriscono che gli inibitori della ricaptazione – tra cui la fluoxetina – aumentano il rischio di pensieri e azioni suicidarie in bambini e adolescenti (Schneeweiss et al., 2010). Un altro rischio degli SSRI, per persone di ogni età, è che la vasta gamma di farmaci da banco potrebbe interagire con i farmaci e spingere i livelli di serotonina troppo in alto, innescando una sindrome da serotonina, che comprende confusione, spasmi muscolari e febbre. Ogni anno vengono riportati migliaia di casi, alcuni dei quali fatali (Dvir e Smallwood, 2008).
Nonostante la grande popolarità dei trattamenti farmacologici per la depressione, un percorso di circa 20 sessioni di terapia cognitiva comportamentale (CBT) – psicoterapia che mira alla correzione del pensiero negativo, riducendo lo stress e migliorando le relazioni interpersonali – è risultato essere efficace tanto quanto il trattamento SSRI (Butler et al., 2006). Oltretutto il grado di ricaduta è più basso per la CBT rispetto al trattamento SSRI (DeRubeis et al., 2008; Kuyken et al., 2016). È interessante osservare che i trattamenti CBT e SSRI somministrati insieme sono più efficaci nel combattere la depressione piuttosto che ciascuno dei due da solo, soprattutto nei casi più resistenti (Nakagawa et al., 2017; Schramm et al., 2008). Generalmente, la CBT aiuta il paziente a riconoscere gli atteggiamenti autolesionisti del pensiero e incoraggia l’interruzione di un ciclo di depressione che si autoalimenta (Figura 16.21).
L’asse ipotalamo-ipofisi-surrene è coinvolto nella depressione
Le persone con alti livelli circolanti di glucocorticoidi come il cortisolo sono inclini alla depressione. Questa condizione, nota come sindrome di Cushing, potrebbe verificarsi in molti casi diversi, come conseguenza di tumori ipofisari che producono quantità eccessive di ormoni o trattamenti terapeutici con glucocorticoidi sintetici. In più dell’85% dei pazienti con sindrome di Cushing, la depressione compare piuttosto precocemente nel disturbo, persino prima dei segni tipici come l’obesità o l’insolita crescita e distribuzione dei peli del corpo. Questi dati indicano che la disfunzione dell’asse ipotalamo-ipofisi-surrene
Pensieri (negativi) Non ha senso provare
Comportamento (ridotto) Diventa meno attivo, evita le persone e le situazioni
Umore (basso) Senso di colpa, scoraggiamento, inadeguatezza, mancanza di valore
Figura 16.21 Il circolo vizioso della depressione. La terapia cognitiva comportamentale (CBT) mira a rompere il ciclo in uno o più punti. Dunque, anche un modesto programma di esercizio fisico può aiutare perché interrompe le “azioni” o i “comportamenti” che sono parte del ciclo.
Nonostante decenni di studi e ricerche, trattamenti per dare sollievo dalla depressione maggiore che siano rapidi ed efficaci restano un sogno. Molti pazienti non rispondono agli antidepressivi e molti altri sperimentano un sollievo solo parziale, o effetti collaterali problematici, il che porta a un approccio per tentativi ed errori durante il quale si può dover passare da un farmaco all’altro nella speranza di trovare quello efficace. Gran parte del problema è che le principali malattie psichiatriche raramente sono causate dalla cancellazione, mutazione o variazione di un unico gene.
Come abbiamo già discusso, centinaia o migliaia di geni sono implicati in ciascuno dei principali disturbi psichiatrici, per cui è improbabile che giungeremo presto ad avere un semplice esame genetico che possa dirci chi svilupperà la depressione maggiore e chi no. Di conseguenza, la ricerca sta cercando di usare gli screening genetici in un modo diverso: per fare previsioni
personalizzate riguardo a quale tra i molti farmaci disponibili potrebbe essere il più efficace. Tra le persone che hanno una diagnosi di depressione maggiore, i sottogruppi varieranno a seconda che trarranno beneficio da un particolare antidepressivo e se avranno effetti collaterali gravi. Alcune variabili nelle risposte dei pazienti a dati farmaci possono essere spiegate da un insieme di polimorfismi genetici – piccole variazioni individuali all’interno di un singolo gene – e quindi forse lo screening per combinazioni specifiche di polimorfismi potrebbe guidare la selezione individualizzata di farmaci antidepressivi e del loro dosaggio (Fabbri e Serretti, 2020; Tansey et al., 2013). Con la farmacogenomica, il genoma di ogni persona viene esaminato alla ricerca di polimorfismi in geni che appartengono a due classi generali: i geni farmacocinetici, che determinano come il farmaco è metabolizzato e come si muove nel corpo, e i geni farmacodinamici, che sono relativi ai meccanismi cerebrali attraverso
cui il farmaco ha un effetto sul funzionamento neurale (Figura 16.22). Le diverse combinazioni di polimorfismi che gli individui possiedono sono utilizzate per predire come risponderanno a uno specifico farmaco e se sperimenteranno effetti di tossicità o collaterali.
Funziona? Forse. Essendo agli stadi iniziali ci sono pochi dati, ma meta-analisi preliminari suggeriscono che i trattamenti guidati dalla farmacogenomica portino a un aumento di più del 50% della remissione in persone con depressione maggiore (Bousman et al., 2019; Rosenblat et al., 2018). Nel trial clinico più grande fatto finora per questo tipo di trattamenti sono stati assegnati o il trattamento tradizionale o un trattamento guidato dalla farmacogenetica a più di 1100 persone con depressione maggiore che in precedenza avevano risposto scarsamente a farmaci antidepressivi. I partecipanti e i valutatori erano all’oscuro delle condizioni sperimentali. All’ottava settimana sono stati osservati miglioramenti significativi nella ri-
sposta al trattamento nel gruppo con l’approccio farmacogenetico (Greden et al., 2019).
Tuttavia, non si è osservata una differenza riguardo a uno degli scopi principali dello studio, ovvero un miglioramento generale dei sintomi indipendentemente dalla remissione. In generale le autorità pensano che non vi siano ancora sufficienti basi perché si possa incorporare lo scree-
ning farmacogenomico nella pratica clinica (Zeier et al., 2018; Minelli et al., 2022).
Comunque, il trattamento guidato dalla farmacogenomica per la depressione offre grandi speranze. Parte del processo coinvolgerà l’identificazione accurata di geni all’interno dei quali una variazione porta alla malattia. Per esempio, una regione polimorfica chiamata 5-HT-TLPR all’in-
(A) Esame genetico per la variazione individuale in geni correlati alla risposta
terno del gene del trasportatore della serotonina, che si pensava fosse coinvolta nella depressione indotta dallo stress, ha invece una scarsa relazione con questo processo (Culverhouse et al., 2018). Gli sviluppi futuri potrebbero anche coinvolgere la misurazione di modificazioni epigenetiche (Capitolo 7) di geni chiave (Hack et al., 2019).
(B) Ef cacia predetta del trattamento individualizzato con il farmaco candidato
Nessun effetto collaterale ma nessun bene cio

La variazione individuale nei geni target –polimor smo genetico –predice le risposte personali a potenziali trattamenti farmacologici
Persone con una diagnosi di depressione maggiore

Geni farmacocinetici
Geni che in uenzano: assorbimento distribuzione metabolismo escrezione

Geni farmacodinamici
Geni per: recettori canali ionici enzimi proteine
Effetti collaterali avversi e nessun bene cio
Bene cio, ma con effetti collaterali avversi
Bene cio e nessun effetto collaterale
Figura 16.22 Trattamenti guidati dalla farmacogenomica. Un gruppo di persone che condividono la stessa diagnosi – in questo caso la depressione maggiore – differiscono nel modo in cui beneficeranno di un particolare trattamento farmacologico e anche nella quantità di effetti collaterali che sperimenteranno. (A) Il DNA delle persone viene esaminato alla ricerca di variazioni specifiche – polimorfismi genetici – in geni in relazione con il metabolismo e l’eliminazione (clearance) del farmaco. (B) Si spera che la combinazione di polimorfismo in ciascun individuo possa predire quali farmaci saranno efficaci con maggiore probabilità e quali avranno un’elevata probabilità di causare effetti collaterali gravi.
(Figura 16.23A) potrebbe essere coinvolta nella depressione, forse come parte di una depressione indotta dalla risposta da stress (Herbert, 2013).
Tra i vari marcatori fisiologici del comportamento suicidario (Kimbrel et al., 2022), le persone che tentano il suicido mostrano spesso livelli altissimi di cortisolo ematico (W. Choi et al., 2022) e i pazienti ospedalizzati con depressione hanno elevati livelli di cortisolo (Figura 16.23B). Questi dati suggeriscono che l’ormone adrenocorticotropo (ACTH) sia rilasciato in quantità eccessive dall’ipofisi anteriore. Un metodo standard per stabilire la funzionalità dell’asse ipotalamo-ipofisi-surrene – il test di soppressione con desametasone – può rivelare una tendenza a rilasciare troppo cortisolo. Il cortisolo è generalmente secreto giornalmente, con livelli alti al mattino; nelle persone depresse questo ritmo è appiattito e i livelli totali di cortisolo sono più alti (Figura 16.23C). Il desametasone è un potente glucocorticoide sintetico che normalmente inibisce il picco di ACTH che nelle persone normali si ha tipicamente al mattino presto. Quando viene assunto in tarda notte, il desametasone sembra “confondere” l’ipotalamo facendogli credere che ci sia un alto livello di cortisolo ematico.
Negli individui normali, il desametasone inibisce il cortisolo il giorno dopo, ma in molti individui che soffrono di depressione non riesce ad avere questo effetto (Figura 16.23D) (Belvederi et al., 2014). Quando si guarisce dalla depressione, il desametasone torna normalmente a inibire il cortisolo, indipendentemente da quale sia la causa della guarigione (il trascorrere del tempo, la psicoterapia, la farmacoterapia o la terapia elettroconvulsiva).
Perché le donne soffrono di depressione più degli uomini?
Studi provenienti da tutto il mondo hanno dimostrato che le donne soffrono di depressione maggiore più degli uomini. Negli Stati Uniti le donne hanno una probabilità doppia rispetto agli uomini di soffrire di depressione maggiore (D.J. Brody et al., 2018). Alcuni ricercatori ritengono che l’evidente differenza sessuale rifletta diversi comportamenti di richiesta d’aiuto da parte di maschi e femmine (notoriamente le donne usano gli ambulatori medici più di quanto facciano gli uomini). Ma le differenze di sesso nell’incidenza della depressione sono evidenti anche nelle
Stress

CRH
Ipo si anteriore
Ghiandola surrenale
Rene
Hippocampus Ippocampo
Ipotalamo
Depressione Controllo




Ipotalamo






Desametasone
Ipo si posteriore
Mancanza di soppressione nella persona con depressione
Risposta normale al desametasone







Glucocorticoidi (incluso il cortisolo)


0---8 1620 12 424 Ore dopo la dose (D)



Figura 16.23 Asse ipotalamo-ipofisi-surrene nella depressione. (A) I dati indicano che il sistema ipotalamo-ipofisi-surrene è coinvolto nella depressione (ACTH, ormone adrenocorticotropo; CRH, ormone di rilascio corticotropina). (B) I livelli di cortisolo in circolo solitamente sono più elevati nei soggetti depressi rispetto ai controlli normali o psichiatrici. In questo grafico ciascun punto rappresenta un caso individuale. (C) Le persone con depressione possono avere un aumento dei livelli di cortisolo nel corso del ritmo circadiano del suo rilascio. (D) La stessa dose di desametasone è molto meno efficace nel sopprimere il cortisolo del giorno successivo nei pazienti con depressione. [Fonte: (B) A.J. Rosthschild et al., 1982. Brit J Psychiat 141:471–474; (C) E.R. Kandel, 2000. In Principles of Neural Science, 4th ed., E.R. Kandel et al. [Eds.], pp. 1209–1226. McGraw-Hill: New York; (D) M. Naughton et al., 2014. Hand Clin Neurol 124:69–91.]
interviste porta a porta (J.S. Hyde e Mezulis, 2020), e ciò sembrerebbe escludere la semplice spiegazione che le donne cercano la terapia più degli uomini.
Alcuni ricercatori hanno evidenziato differenze di genere nella fisiologia endocrina. Gli episodi di depressione clinica sono spesso in relazione a eventi che accadono durante il ciclo riproduttivo femminile, per esempio prima delle mestruazioni, durante l’uso della pillola contraccettiva, in seguito alla nascita di un bambino e durante la menopausa. Sebbene vi sia scarsa relazione tra i livelli di ormoni ematici legati alla fisiologia riproduttiva femminile e le valutazioni della depressione, il fenomeno della depressione post-partum, un periodo di depressione che si manifesta immediatamente prima o dopo la nascita del neonato, suggerisce che alcune combinazioni di ormoni possano far precipitare la depressione. Circa una donna incinta su sette mostrerà sintomi depressivi (Dietz et al., 2007).
Dal momento che la depressione post-partum può influenzare la relazione tra madre e figlio, causando effetti deleteri di lunga durata sul comportamento del bambino (Brummelte e Galea, 2016), vi è una crescente preoccupazione riguardo a questo problema. Sfortunatamente, vi sono evidenze relative al fatto che l’esposizione prenatale agli SSRI assunti dalla madre possa influenzare il comportamento del bambino in seguito (Brandlistuen et al., 2015; Lupattelli et al., 2018), e nessuno sa se gli SSRI nel latte materno influenzino in qualche modo il bambino. Quindi, la CBT offre il trattamento più sicuro per la depressione post-partum ed è difficile valutare i costi e i benefici di un’integrazione della terapia con gli antidepressivi (Grieb e Ragan, 2019). Una teoria interessante ipotizza che la depressione post-partum sia una malattia della civiltà moderna, come l’obesità e il diabete, causata dalle moderne abitudini dello svezzamento precoce, da bassi livelli di attività fisica ed esposizione al sole e da un isolamento dal supporto della rete familiare (Hahn-Holbrook e Haselton, 2014).
Le caratteristiche del sonno cambiano nei disturbi affettivi
La difficoltà a prendere sonno e l’incapacità a mantenere il sonno sono comuni nella depressione. Inoltre, gli studi EEG sul sonno dei pazienti depressi mostrano alcune anomalie che vanno oltre alla difficoltà ad addormentarsi (Hertenstein et al., 2019). Il sonno dei pazienti con disturbo depressivo maggiore è caratterizzato da una sorprendente riduzione dello stadio 3 del sonno a onde lente (SWS) e un corrispondente aumento delle fasi 1 e 2 (Figura 16.24A). I pazienti depressi entrano nel sonno REM molto prima dei soggetti di controllo, dopo l’addormentamento (Figura 16.24B) – la latenza a entrare nel sonno REM correla con la gravità della depressione – e il loro sonno REM è insolitamente profondo. Inoltre, la distribuzione temporale del sonno REM è alterata, con un aumento della quantità di sonno REM durante la prima metà del sonno, come se il sonno REM fosse spostato verso il primo periodo della notte (Palagini et al., 2013). In aggiunta a questi legami tra il ritmo quotidiano del sonno e la depressione, i ritmi stagionali sono coinvolti in una particolare condizione depressiva, nota come disturbo affettivo stagionale (SAD), descritta nel Focus 16.2. Un trattamento efficace dell’insonnia è associato con cambiamenti positivi del tono dell’umore (Gebara et al., 2018).
La ricerca non ha ancora individuato modelli animali della depressione
Dato che una scimmia o un gatto oppure un ratto non possono dirci se hanno un delirio di persecuzione o se sentono voci che dicono loro cosa fare, i modelli animali di schizofrenia sono limitati. Ma molti dei segni della depressione – come un diminuito contatto sociale, problemi alimentari e cambiamenti nell’attività – sono evidenti da un punto di vista comportamentale e si prestano quindi a essere oggetto di tali modelli.
del sonno
(A) Pattern di sonno di un paziente con depressione
(B) Gruppi d’età (anni)
FOCUS 16.2
Figura 16.24 Sonno e depressione. (A) Le persone depresse passano poco o non passano affatto tempo nello stadio 3 del sonno, noto anche come sonno a onde lente (Figura 14.12). (B) Le persone che soffrono di depressione entrano anche in anticipo nel loro primo periodo REM della notte. Il sonno REM sembra essere distribuito in modo diverso nelle persone con depressione. [Fonte: (B) J.C. Gillin et al., 1981. Psychiatry Res 4:73–78; D.J. Kupfer et al., 1982. Neurobiol Aging 3:351–360.]
I ritmi stagionali caratterizzano il comportamento e la fisiologia di molti animali, inclusi gli esseri umani (Capitolo 14). Per alcune persone sfortunate l’inverno rappresenta un periodo di cattivo umore che potrebbe sfociare in una profonda depressione. Durante l’inverno le persone colpite si sentono depresse, rallentate, generalmente dormono e
mangiano molto. Arriva l’estate e si sentono animate, energiche e attive e dimagriscono. Questa sindrome, chiamata disturbo affettivo stagionale (SAD), affligge prevalentemente le donne e generalmente inizia nella prima età adulta.

Fototerapia per la SAD. [© Image Point Fr/Shutterstock.com.]
I ritmi stagionali negli animali sono controllati dalla lunghezza del giorno (Figura 14.9); ci si è quindi chiesto se i cambiamenti stagionali nell’esposizione alla luce solare possano causare la SAD. L’efficacia della terapia con la luce, nota anche come fototerapia, nella SAD è piuttosto ben consolidata, e per molti aspetti la terapia con la luce assomiglia al trattamento con gli antidepressivi (Lam et al., 2006). Essa ha la sua massima efficacia quando somministrata dopo il risveglio al mattino. Nella figura è mostrata una persona che riceve la fototerapia.
In un classico modello da stress – l’impotenza appresa – un animale è esposto a uno stimolo stressante ripetitivo, come una scossa elettrica, dal quale non può sottrarsi (Seligman e Beagley, 1975). L’impotenza appresa, come la depressione, è stata messa in relazione a una diminuzione della funzione serotoninergica (Maier e Seligman, 2016) e della dopammina (B. Li et al., 2011).
Anche la rimozione dei bulbi olfattivi nei roditori crea un modello di depressione: gli animali mostrano irritabilità, preferenza
Tuttavia, data la nota suscettibilità della depressione a effetti placebo (Figura 16.20), è possibile che la luce sia efficace solo perché le persone che hanno una diagnosi di SAD si aspettano che sia così. Infatti, sappiamo da più di un secolo che il picco stagionale nei suicidi non è in inverno (e certamente non vicino alle festività di dicembre, come viene persistentemente mitizzato), ma durante la primavera e l’estate, quando le giornate sono più lunghe (Durkheim, 1897; Galvão et al., 2018). Questo dato, ribadito ripetutamente, sembra difficile da conciliare con l’idea che giornate brevi possano causare la depressione in una fetta significativa della popolazione. Infatti, vi sono molti studi che non hanno trovato alcuna relazione tra la durata del giorno e la depressione, il che ha gettato dubbi sul fatto che la SAD sia un concetto valido (Brancaleoni et al., 2009; Traffanstedt et al., 2016).
per l’alcol ed elevati livelli di corticosteroidi, tutti segni che sono annullati da molti antidepressivi. Una linea di ratti sviluppata con manipolazione genetica – la linea Flinders – è stata proposta come modello di depressione perché questi animali mostrano una ridotta attività locomotoria, ridotto peso corporeo, aumentato sonno REM, difficoltà d’apprendimento e un’esagerata immobilità in risposta allo stress cronico (Overtstreet e Wegener, 2013). Anche se questi diversi modelli animali potrebbero essere utili
FOCUS 16.3 (continua)
16.2), ma i dettagli su come questi geni portino allo sviluppo della Tourette devono ancora essere determinati (W.D. Lin et al., 2022).
La somministrazione di aloperidolo, un antagonista del recettore D2, meglio conosciuto come efficace farmaco contro la schizofrenia, riduce significativamente la frequenza dei tic ed è la principale terapia per la sindrome di Tourette. Sfortunatamente, questo trattamento ha gli effetti collaterali
che sono stati menzionati quando si è discusso della schizofrenia, e come per le persone che soffrono di schizofrenia alcune persone con Tourette rispondono bene agli antipsicotici atipici, che hanno meno effetti collaterali. Le tecniche di intervento sul comportamento che hanno lo scopo di ridurre la frequenza di alcuni sintomi, soprattutto i tic, sono di aiuto ad alcuni pazienti, insegnando loro a sostituire i tic più evidenti con comportamenti più sottili o

Più felice che mai. La famosa cantautrice Billie Eilish, che ha ricevuto una diagnosi di Tourette quando aveva 11 anni, ha descritto la propria esperienza in diverse interviste. [© Je_rey Mayer/Alamy Stock Photo.]
Beidel, D. C., and Frueh, B. C. (2018). Adult Psychopathology and Diagnosis (8th ed.). New York: Wiley.
Charney, D., Nestler, E. J., Sklar, P., and Buxbaum, J. D. (Eds.). (2018). Charney & Nestler’s Neurobiology of Mental Illness (5th ed.). New York: Oxford University Press.
Denys, D., Feenstra, M., and Schuurman, R. (Eds.). (2012). Deep Brain Stimulation: A New Frontier in Psychiatry. New York: Springer.
Huettel, S. A., Song, A. W., and McCarthy, G. (2014). Functional Magnetic Resonance Imaging (3rd ed.). New York: Oxford University Press.
Kessler, D. A. (2016). Capture: Unraveling the Mystery of Mental Suffering. New York: HarperCollins.
più accettabili socialmente (Himle et al., 2006). Alcune persone con Tourette che non rispondevano alla terapia farmacologica hanno trovato beneficio nella stimolazione cerebrale profonda (Baldermann et al., 2016; Porta et al., 2009), ma non vi è ancora un consenso su quali siano i target cerebrali più efficaci per combattere tali sintomi (Fraint e Pal, 2015). (Figura B per gentile concessione di Steven Wolf da Wolff et al., 1998.)
1. Passa in rassegna le principali classi di antipsicotici. Quali azioni hanno in comune e questo cosa ci dice riguardo alle basi neurobiologiche dell’ansia?
2. Descrivi i segni e i sintomi del PTSD. Perché i ricercatori pensano che coinvolga il condizionamento alla paura?
3. Quali sono alcuni esempi di sintomatologia dell’OCD? Quali sono i trattamenti più efficaci per questo disturbo?
Ovviamente tutti odiamo la paura e le preoccupazioni, ma perché ne facciamo esperienza? In che modo distinguiamo in quest’ambito tra malattia e adattamento di natura evolutiva?
Martino, D., and Leckman, J. F. (Eds.). (2022). Tourette Syndrome (2nd ed.) Oxford, UK: Oxford University Press.
McClintock, S. M., and Choi, J. (Eds.). (2022). Neuropsychology of Depression. New York: Guilford.
Meyer, J. S., Farrar, A. M., Biezonski, D, and Yates, J. R. (2022). Psychopharmacology: Drugs, the Brain, and Behavior (4th ed.). New York: Oxford University Press.
Pollan, M. (2019). How to Change Your Mind: What the New Science of Psychedelics Teaches Us about Consciousness, Dying, Addiction, Depression, and Transcendence. New York: Penguin.
Solomon, A. (2015). The Noonday Demon: An Atlas of Depression (2nd ed.) New York: Scribner.
I disturbi psichiatrici sono prevalenti nella società moderna. Studi sull’incidenza della schizofrenia nelle famiglie, nei gemelli e nelle persone adottate mostrano un forte ruolo dei fattori genetici. Piuttosto che un singolo gene, ne sono stati identi cati molti che potrebbero contribuire alla schizofrenia (Figure 16.1–16.3, Tabelle 16.1 e 16.2)
I lobi frontali sono meno attivi nelle persone affette da schizofrenia rispetto ai controlli. Le teorie biochimiche della schizofrenia enfatizzano l’importanza dei recettori della dopammina, del glutammato e della serotonina. Gli antipsicotici tipici bloccano i recettori D2 della dopammina, mentre gli antipsicotici atipici bloccano i recettori 5-HT2A della serotonina (Figure 16.10–16.14 e 16.18, Focus 16.1)
Il trattamento più ef cace per la maggior parte dei casi di depressione è una combinazione della terapia cognitivo comportamentale (CBT) e un inibitore selettivo della ricaptazione della serotonina (SSRI) (Figure 16.20–16.22, Tabella 16.4)
7
Gli stati d’ansia sono caratterizzati da cambiamenti funzionali nei lobi temporali, soprattutto nell’amigdala. I farmaci per l’ansia benzodiazepine (ansiolitici) aumentano gli effetti inibitori dei recettori per il GABA. Anche i farmaci che in uenzano le sinapsi serotoninergiche potrebbero ridurre l’ansia (Figura 16.27)

Il disturbo ossessivo-compulsivo (OCD) è caratterizzato da alterazioni nei nuclei della base e nelle strutture frontali e nelle attività fortemente legate alla serotonina. Nella sindrome di Tourette, la sovrastimolazione dei recettori della dopammina induce tic motori e verbali e compulsioni. Un tipo ristretto di psicochirurgia viene alle volte utilizzato per trattare i casi più gravi di disturbi d’ansia (Figura 16.29, Tabella 16.5, Focus 16.3)



Cambiamenti strutturali e funzionali nei cervelli delle persone con schizofrenia, tra cui la dilatazione dei ventricoli e anomalie rilevate con il tracciamento dei movimenti oculari, potrebbero derivare da problemi in fasi precoci dello sviluppo. L’emergenza della schizofrenia dipende dall’interazione tra i geni che rendono una persona vulnerabile ai fattori di stress ambientali
Figure 16.5–16.10, 16.15 e 16.16)

La depressione ha una forte componente genetica. In generale, le donne hanno maggiori probabilità di svilupparla. Le persone con depressione hanno una maggiore attività nella corteccia frontale e nell’amigdala e una compromissione del sonno e della regolazione ormonale surrenale (Figure 16.19, 16.23 e 16.24, Focus 16.2, Tabella 16.3)



Il disturbo bipolare è caratterizzato da oscillazioni tra stati estremi d’umore e sottili cambiamenti nel cervello ed è comunemente trattato con il litio. Come per la schizofrenia, anche in questo caso sono molti i geni che contribuiscono al rischio di disturbo bipolare, e il rischio genetico per entrambi i disturbi sembra essere associato alla creatività (Figure 16.25 e 16.26)
8
Il disturbo post-traumatico da stress (PTSD) è caratterizzato dalla incapacità di dimenticare le esperienze tragicamente negative. L’atro a del lobo temporale in questo disturbo potrebbe essere causata dall’esposizione agli ormoni dello stress, come il cortisolo, e da una prolungata sensibilità a tali ormoni (Figura 16.28)

Titolo originale: Behavioral Neuroscience, Tenth edition © 2023 Oxford University Press. All rights reserved. © 1996, 1999, 2002, 2005, 2007, 2010, 2013, 2017, 2020 Sinauer Associates.
Behavioral Neuroscience, Tenth edition, was originally published in English in 2023. This translation is published by arrangement with Oxford University Press. Casa Editrice Ambrosiana is solely responsible for this translation from the original work and Oxford University Press shall have no liability for any errors, omissions or inaccuracies or ambiguities in such translation or for any losses caused by reliance thereon.
Behavioral Neuroscience, Tenth edition, è stato originariamente pubblicato in lingua inglese nel 2023. Questa traduzione è pubblicata in accordo con Oxford University Press. Casa Editrice Ambrosiana è l’unico responsabile di questa traduzione dall’opera originale, e Oxford University Press non avrà alcuna responsabilità per eventuali errori, omissioni, inesattezze o ambiguità in tale traduzione, né per eventuali perdite derivanti dal suo utilizzo. © 2025, 2019, 2009, 2001, 1998 CEA - Casa Editrice Ambrosiana, viale Romagna 5, 20089 Rozzano (MI) [49943]
CEA - Casa Editrice Ambrosiana è un marchio editoriale di Zanichelli editore S.p.A.
Traduzione: Miriam Vignando
Diritti riservati
I diritti di pubblicazione, riproduzione, comunicazione, distribuzione, trascrizione, traduzione, noleggio, prestito, esecuzione, elaborazione in qualsiasi forma o opera, di memorizzazione anche digitale e di adattamento totale o parziale su supporti di qualsiasi tipo e con qualsiasi mezzo (comprese le copie digitali e fotostatiche), sono riservati per tutti i paesi. L’acquisto della presente copia dell’opera non implica il trasferimento dei suddetti diritti né li esaurisce.
Fotocopie e permessi di riproduzione
Le fotocopie per uso personale (cioè privato e individuale, con esclusione quindi di strumenti di uso collettivo) possono essere effettuate, nei limiti del 15% di ciascun volume, dietro pagamento alla S.I.A.E. del compenso previsto dall’art. 68, commi 4 e 5, della legge 22 aprile 1941 n. 633. Tali fotocopie possono essere effettuate negli esercizi commerciali convenzionati S.I.A.E. o con altre modalità indicate da S.I.A.E.
Per le riproduzioni ad uso non personale (ad esempio: professionale, economico, commerciale, strumenti di studio collettivi, come dispense e simili) l’editore potrà concedere a pagamento l’autorizzazione a riprodurre un numero di pagine non superiore al 15% delle pagine del presente volume.
Le richieste vanno inoltrate a:
Centro Licenze e Autorizzazioni per le Riproduzioni Editoriali (CLEARedi), Corso di Porta Romana 108, 20122 Milano e-mail: autorizzazioni@clearedi.org e sito web: www.clearedi.org
L’autorizzazione non è concessa per un limitato numero di opere di carattere didattico riprodotte nell’elenco che si trova all’indirizzo www.zanichelli.it/chi-siamo/fotocopie-e-permessi
L’editore, per quanto di propria spettanza, considera rare le opere fuori del proprio catalogo editoriale. La loro fotocopia per i soli esemplari esistenti nelle biblioteche è consentita, anche oltre il limite del 15%, non essendo concorrenziale all’opera. Non possono considerarsi rare le opere di cui esiste, nel catalogo dell’editore, una successiva edizione, né le opere presenti in cataloghi di altri editori o le opere antologiche. Nei contratti di cessione è esclusa, per biblioteche, istituti di istruzione, musei e archivi, la facoltà di cui all’art. 71-ter legge diritto d’autore. Per permessi di riproduzione, diversi dalle fotocopie, rivolgersi a ufficiocontratti@zanichelli.it
Licenze per riassunto, citazione e riproduzione parziale a uso didattico con mezzi digitali
La citazione, la riproduzione e il riassunto, se fatti con mezzi digitali, sono consentiti (art. 70 bis legge sul diritto d’autore), limitatamente a brani o parti di opera, a) esclusivamente per finalità illustrative a uso didattico, nei limiti di quanto giustificato
Realizzazione editoriale e indice analitico: Epitesto, Milano
Copertina: – Progetto grafico: Falcinelli & Co., Roma
Prima edizione italiana: luglio 1998
Seconda edizione italiana: luglio 2001
Terza edizione italiana: settembre 2009
Ristampa: prima tiratura
dallo scopo non commerciale perseguito. (La finalità illustrativa si consegue con esempi, chiarimenti, commenti, spiegazioni, domande, nel corso di una lezione); b) sotto la responsabilità di un istituto di istruzione, nei suoi locali o in altro luogo o in un ambiente elettronico sicuro, accessibili solo al personale docente di tale istituto e agli alunni o studenti iscritti al corso di studi in cui le parti di opere sono utilizzate; c) a condizione che, per i materiali educativi, non siano disponibili sul mercato licenze volontarie che autorizzano tali usi.
Zanichelli offre al mercato due tipi di licenze di durata limitata all’anno accademico in cui le licenze sono concesse:
A) licenze gratuite per la riproduzione, citazione o riassunto di una parte di opera non superiore al 5%. Non è consentito superare tale limite del 5% attraverso una pluralità di licenze gratuite,
B) licenze a pagamento per la riproduzione, citazione, riassunto parziale ma superiore al 5% e comunque inferiore al 40% dell’opera. Per usufruire di tali licenze occorre seguire le istruzioni su www.zanichelli.it/licenzeeducative
L’autorizzazione è strettamente riservata all’istituto educativo licenziatario e non è trasferibile in alcun modo e a qualsiasi titolo.
Garanzie relative alle risorse digitali
Le risorse digitali di questo volume sono riservate a chi acquista un volume nuovo: vedi anche al sito www.zanichelli.it/contatti/acquisti-e-recesso le voci Informazioni generali su risorse collegate a libri cartacei e Risorse digitali e libri non nuovi Zanichelli garantisce direttamente all’acquirente la piena funzionalità di tali risorse. In caso di malfunzionamento rivolgersi a assistenza@zanichelli.it
La garanzia di aggiornamento è limitata alla correzione degli errori e all’eliminazione di malfunzionamenti presenti al momento della creazione dell’opera.
Zanichelli garantisce inoltre che le risorse digitali di questo volume sotto il suo controllo saranno accessibili, a partire dall’acquisto, per tutta la durata della normale utilizzazione didattica dell’opera. Passato questo periodo, alcune o tutte le risorse potrebbero non essere più accessibili o disponibili: per maggiori informazioni, leggi my.zanichelli.it/fuoricatalogo
Soluzioni degli esercizi e altri svolgimenti di compiti assegnati
Le soluzioni degli esercizi, compresi i passaggi che portano ai risultati e gli altri svolgimenti di compiti assegnati, sono tutelate dalla legge sul diritto d’autore in quanto elaborazioni di esercizi a loro volta considerati opere creative tutelate, e pertanto non possono essere diffuse, comunicate a terzi e/o utilizzate economicamente, se non a fini esclusivi di attività didattica.
Diritto di TDM
L’estrazione di dati da questa opera o da parti di essa e le attività connesse non sono consentite, salvi i casi di utilizzazioni libere ammessi dalla legge.
L’editore può concedere una licenza. La richiesta va indirizzata a tdm@zanichelli.it
– Immagine di copertina: Kazimir Severinovič Malevič (1879-1935): Donna con rastrello (particolare), 1928-32 circa, olio su tela, 100x75 cm. Moscow, Tretyakov Gallery © Tretyakov Gallery/Bridgeman Images
Quarta edizione italiana: dicembre 2019
Quinta edizione italiana: giugno 2025
5 4 3 2 1 2025 2026 2027 2028 2029
Realizzare un libro è un’operazione complessa, che richiede numerosi controlli: sul testo, sulle immagini e sulle relazioni che si stabiliscono tra essi. L’esperienza suggerisce che è praticamente impossibile pubblicare un libro privo di errori. Saremo quindi grati ai lettori che vorranno segnalarceli. Per segnalazioni o suggerimenti relativi a questo libro scrivere al seguente indirizzo: Zanichelli editore S.p.A. Via Irnerio 34 - 40126 Bologna - fax 051293322 e-mail: linea_universitaria@zanichelli.it - sito web: www.zanichelli.it
Prima di effettuare una segnalazione è possibile verificare se questa sia già stata inviata in precedenza, identificando il libro interessato all’interno del nostro catalogo online per l’Università. Per comunicazioni di tipo commerciale: universita@zanichelli.it
Stampa:
per conto di Zanichelli editore S.p.A. Via Irnerio 34, 40126 Bologna
Neil V. Watson
Introduzione alle neuroscienze comportamentali, cognitive e cliniche
Quinta edizione italiana
Inquadra e scopri i contenuti
Le risorse digitali universita.zanichelli.it/breedlove5e
A questo indirizzo sono disponibili le risorse digitali di complemento al libro. Per accedere alle risorse protette è necessario registrarsi su my.zanichelli.it inserendo il codice di attivazione personale contenuto nel libro.
Libro con Ebook
Chi acquista il libro nuovo può accedere gratuitamente all’Ebook, seguendo le istruzioni presenti nel sito.
L’accesso all’Ebook e alle risorse digitali protette è personale, non condivisibile e non cedibile, né autonomamente né con la cessione del libro cartaceo.
In rapido progresso, con un enorme numero di pubblicazioni scientifiche ogni anno, la psicologia biologica studia i meccanismi con cui il cervello modula ogni aspetto dell’esperienza umana. Grazie a un imponente lavoro di selezione e sintesi delle scoperte più importanti, la quinta edizione italiana di Psicologia biologica accoglie i cambiamenti avvenuti nelle neuroscienze del comportamento e li integra in un progetto didattico efficace, che punta su stile accessibile, scansione ordinata degli argomenti, sintesi illustrate ed esempi in grado di stimolare la curiosità. In ogni capitolo sono state inserite novità importanti: dal ruolo inatteso dei mitocondri nel fissare la luce nei fotorecettori, al promettente uso degli oligonucleotidi antisenso (ASO) nella lotta alle malattie motorie, dalle nuove strategie farmacologiche per combattere l’obesità, all’analisi del genoma per comprendere il rischio di disturbi psicotici. Il libro rende anche conto delle conseguenze della pandemia di COVID-19, come l’aumento dei casi di ansia e depressione, l’impatto del virus sull’olfatto e gli effetti del lockdown sulla miopia e sul canto degli uccelli.
Numerose rubriche guidano e facilitano lo studio:
• un racconto a inizio capitolo introduce i concetti principali attraverso una storia reale;
• le schede Ricerche d’avanguardia esplorano casi più interessanti e «di frontiera»;
• i box Spunti di riflessione invitano a riflettere e discutere con domande;
• l’elenco degli Obiettivi di apprendimento a inizio paragrafo e le domande di Ripasso a fine sezione aiutano a individuare i concetti cardine;
• una Sintesi illustrata a fine capitolo riassume e collega visivamente i concetti principali;
• le Letture consigliate al termine della teoria invitano ad ampliare le conoscenze;
• un Glossario in digitale permette di ripassare i termini chiave.
L’opera è accompagnata da numerose risorse multimediali, come attività interattive, video e approfondimenti in inglese, sintesi illustrate interattive e test di autovalutazione; tutte le risorse sono disponibili sul sito, nell’ebook e visualizzabili sullo smartphone tramite l’app laZ Guarda!
S.Marc Breedlove è Barnett Rosenberg Professor di Neuroscienze presso la Michigan State University, East Lansing, Michigan.
Neil V. Watson è professore di Neuroscienze presso la Simon Fraser University, Burnaby, British Columbia.