Anteprima - Atlante tascabile Anatomia umana vol. 2 - Splancnologia 6E

Page 1

Helga Fritsch

Sesta edizione italiana

Wolfgang Kühnel ATLANTE TASCABILE Anatomia umana 2 Splancnologia

Indice sintetico

Introduzione

Sistema cardiocircolatorio

Apparato respiratorio

Apparato digerente

Apparato urinario

Apparato genitale maschile

Apparato genitale femminile

Gravidanza e sviluppo umano

Ghiandole e sistema endocrino

Sistema emolinfatico

Apparato tegumentario

Indice generale

Prefazione XIII Prefazione alla prima edizione dell’Atlante tascabile XV Capitolo 1 Introduzione 1 1.1 Organi interni: visione d’insieme 2 Organizzazione funzionale 2 Organizzazione regionale 2 Capitolo 2 Sistema cardiocircolatorio 5 2.1 Visione d’insieme 6 Circolazione sanguigna e vasi linfatici 6 Circolazione fetale 8 Riorganizzazione del sistema circolatorio nel periodo perinatale 8 2.2 Cuore 10 Morfologia esterna 10 Cavità interne 14 Scheletro cardiaco 18 Strati della parete cardiaca 18 Muscolatura cardiaca, struttura e ultrastruttura 20 Valvole cardiache 22 Vasi del cuore 24 Sistema di origine e di conduzione dell’eccitazione 26 Innervazione del cuore 28 Pericardio 30 Posizione e limiti del cuore 32 Anatomia radiologica 34 Ascoltazione 34 Anatomia per sezioni 36 Ecocardiografia 40 Funzioni del cuore 42 2.3 Sistematica delle arterie 44 Aorta 44 2.4 Arterie della testa e del collo 46 Arteria carotide comune 46 Arteria carotide esterna 46 Arteria mascellare 48 Arteria carotide interna 50 Arteria succlavia 52 2.5 Arterie della spalla e dell’arto superiore 54 Arteria ascellare 54 Arteria brachiale 54 Arteria radiale 56 Arteria ulnare 56 2.6 Arterie del bacino e dell’arto inferiore 58 Arteria iliaca interna 58 Arteria iliaca esterna 60 Arteria femorale 60 Arteria poplitea 62 Arterie della gamba e del piede 62 2.7 Sistematica delle vene 66 Sistema delle vene cave 66 Sistema delle azygos 66 Vene della colonna vertebrale 66 2.8 Territorio di afflusso della vena cava superiore 68 Vene brachiocefaliche 68 Vene giugulari 68 Seni venosi della dura madre 70 Altre vie di efflusso intraed extracraniche 70 Vene degli arti superiori 72 2.9 Territorio di afflusso della vena cava inferiore 74 Vene iliache 74
Indice generale VIII Vene degli arti inferiori 76 2.10 Sistematica dei vasi linfatici e dei linfonodi 78 Vasi linfatici 78 Linfonodi regionali della testa, del collo e degli arti superiori 80 Linfonodi regionali del torace e dell’addome 82 Linfonodi regionali del bacino e degli arti inferiori 84 2.11 Struttura e funzione dei vasi sanguigni e dei vasi linfatici 86 Parete vasale 86 Differenze regionali nella struttura della parete arteriosa 88 Differenze regionali nella struttura della parete venosa 90 Capitolo 3 Apparato respiratorio 93 3.1 Visione d’insieme 94 Organizzazione anatomica 94 Organizzazione da un punto di vista clinico 94 3.2 Naso 96 Naso esterno 96 Cavità nasale 98 Seni paranasali 102 Sbocchi dei seni paranasali, meati nasali 104 Coane (aperture nasali posteriori) 106 Rinofaringe 106 3.3 Laringe 108 Scheletro della laringe 108 Collegamenti delle cartilagini laringee 110 Muscoli laringei 112 Cavità interna della laringe 114 Glottide 116 Vascolarizzazione, innervazione e drenaggio linfatico della laringe 116 3.4 Trachea 118 Trachea e bronchi principali extrapolmonari 118 Topografia della trachea e della laringe 120 3.5 Polmone 122 Superficie del polmone 122 Suddivisione dei bronchi e segmenti broncopolmonari 124 Struttura del polmone 126 Vascolarizzazione e innervazione 128 Pleura 130 Anatomia per sezioni 132 Meccanica respiratoria 134 3.6 Mediastino 136 Mediastino dal lato destro 136 Mediastino dal lato sinistro 138 Capitolo 4 Apparato digerente 141 4.1 Visione d’insieme 142 Organizzazione generale e funzioni 142 4.2 Cavità orale 144 Organizzazione generale 144 Palato 146 Lingua 148 Muscoli della lingua 150 Superficie inferiore della lingua 152 Pavimento della bocca 152 Ghiandole salivari 154 Struttura delle ghiandole salivari 156 Denti 158 Componenti e apparato di ancoraggio del dente 160 Denti decidui 162 Eruzione dei denti decidui e permanenti 162 Sviluppo dei denti 164 Posizione occlusale dei denti 166 Vascolarizzazione, innervazione e drenaggio linfatico 166 4.3 Faringe 168 Organizzazione generale 168 Struttura della parete 168 Vascolarizzazione, innervazione e drenaggio linfatico 170 Deglutizione 170 4.4 Anatomia topografica I 172
Indice generale IX Anatomia per sezioni della testa e del collo 172 4.5 Esofago 176 Organizzazione generale e struttura 176 Anatomia topografica dell’esofago e del mediastino posteriore 178 Vascolarizzazione, innervazione e drenaggio linfatico 180 4.6 Cavità addominale 182 Organizzazione generale 182 Topografia della cavità addominale aperta 184 Peritoneo parietale 188 4.7 Stomaco 190 Morfologia 190 Struttura della parete 192 Vascolarizzazione, innervazione e drenaggio linfatico 194 4.8 Intestino tenue 196 Morfologia 196 Struttura della parete 198 Vascolarizzazione, innervazione e drenaggio linfatico 200 Funzione dell’intestino tenue 200 4.9 Intestino crasso 202 Porzioni dell’intestino crasso – visione d’insieme 202 Caratteri tipici 202 Cieco e appendice vermiforme 202 Porzioni del colon 206 Retto e canale anale 208 4.10 Fegato 212 Morfologia 212 Suddivisione in segmenti 214 Struttura 214 Vascolarizzazione, innervazione e drenaggio linfatico 216 Sistema portale 216 Vie biliari 218 Colecisti 218 4.11 Pancreas 220 Morfologia e struttura 220 Topografia della borsa omentale e del pancreas 222 4.12 Anatomia topografica II 224 Anatomia per sezioni dell’addome superiore 224 Anatomia per sezioni dell’addome superiore e inferiore 226 Capitolo 5 Apparato urinario 229 5.1 Visione d’insieme 230 Organizzazione e posizione degli organi urinari 230 5.2 Reni 232 Morfologia 232 Struttura 234 Vascolarizzazione, innervazione e drenaggio linfatico 238 Topografia del rene 238 5.3 Vie urinarie 240 Pelvi renale e uretere 240 Vescica urinaria 242 Uretra femminile 244 Topografia delle vie urinarie 244 Capitolo 6 Apparato genitale maschile 247 6.1 Visione d’insieme 248 Organizzazione degli organi genitali 248 6.2 Testicolo ed epididimo 250 Morfologia 250 Struttura 252 6.3 Vie spermatiche e ghiandole sessuali accessorie 256 Dotto deferente 256 Vescichette seminali 258 Prostata 258 6.4 Organi genitali esterni 260 Pene 260 Uretra maschile 262 6.5 Anatomia topografica 264 Anatomia per sezioni 264
Capitolo 7 Apparato genitale femminile 267 7.1 Visione d’insieme 268 Organizzazione degli organi genitali 268 7.2 Ovaio e tuba uterina 270 Morfologia dell’ovaio 270 Struttura dell’ovaio 270 Maturazione del follicolo 272 Morfologia della tuba uterina 274 Struttura della tuba uterina 274 7.3 Utero 276 Morfologia 276 Struttura 278 Vascolarizzazione, innervazione e drenaggio linfatico 280 Peritoneo e apparato di ancoraggio dell’utero 280 7.4 Vagina e organi genitali esterni 282 Morfologia 282 Struttura 282 Organizzazione dei genitali esterni 284 7.5 Anatomia topografica 286 Anatomia per sezioni 286 7.6 Anatomia comparativa della pelvi maschile e femminile 288 Anatomia del pavimento pelvico 288 Capitolo 8 Gravidanza e sviluppo umano 293 8.1 Gameti 294 8.2 Fecondazione 296 Maturazione degli spermatozoi 296 Formazione dello zigote 296 8.3 Prime fasi dello sviluppo 298 Gravidanza 300 8.4 Placenta 302 8.5 Parto 304 Periodo di dilatazione 306 Periodo di espulsione 308 8.6 Generalità dello sviluppo e periodo prenatale 310 Periodo prenatale 310 Suddivisione in stadi del periodo prenatale 312 8.7 Sviluppo di organi e apparati 318 Cavità corporee 318 Cuore 318 8.8 Sviluppo dei vasi 322 8.9 Apparato respiratorio 324 8.10 Apparato digerente 326 Intestino anteriore 326 Intestino medio e posteriore 330 8.11 Apparato urinario 332 8.12 Apparato genitale 334 8.13 Periodo perinatale 338 Anatomia neonatale 338 8.14 Periodo postnatale 340 Capitolo 9 Ghiandole e sistema endocrino 343 9.1 Visione d’insieme e classificazione delle ghiandole esocrine 344 Classificazione delle ghiandole esocrine 344 9.2 Sistema endocrino 348 Visione d’insieme 348 9.3 Sistema ipotalamo-ipofisario 350 Morfologia 350 Struttura dell’ipofisi 352 9.4 Collegamenti ipotalamo-ipofisari 354 Efferenze dell’ipotalamo 354 9.5 Epifisi 360 Morfologia 360 Struttura 360 9.6 Ghiandole surrenali 362 Morfologia 362 Struttura della corticale 364 Struttura della midollare 366 9.7 Tiroide 368 Morfologia 368 Struttura 370 Paratiroidi 372 9.8 Isolotti pancreatici 374 Struttura 374 Indice generale X
9.9 Sistema endocrino diffuso 376 Funzioni endocrine del testicolo 376 Funzioni endocrine dell’ovaio 378 Ciclo ovarico 378 Funzioni endocrine della placenta 380 Peptidi atriali – ormoni cardiaci 382 Cellule endocrine diffuse in vari organi 384 Capitolo 10 Sistema emolinfatico 391 10.1 Sangue 392 Componenti del sangue 392 Ematopoiesi 396 10.2 Sistema immunitario 400 Visione d’insieme 400 Cellule del sistema immunitario 402 10.3 Organi linfoidi 404 Visione d’insieme 404 Timo 406 Struttura del timo 408 Linfonodi 410 Milza 412 Struttura della milza 414 Tonsille 416 Tessuto linfatico associato alle mucose (MALT) 418 Capitolo 11 Apparato tegumentario 421 11.1 Cute 422 Organizzazione generale e funzioni 422 Pigmentazione 422 Superficie cutanea 424 Strati della cute 426 11.2 Annessi cutanei 430 Ghiandole cutanee 430 Peli 432 Unghie 434 Cute come organo di senso – strutture sensoriali nella cute 434 11.3 Mammella femminile e ghiandola mammaria 436 Morfologia 436 Struttura e funzione 438 Appendice 441 Bibliografia 442 Indice analitico 449 Indice generale XI
2 Sistema cardiocircolatorio 2.1 Visione d’insieme 6 2.2 Cuore 10 2.3 Sistematica delle arterie 44 2.4 Arterie della testa e del collo 46 2.5 Arterie della spalla e dell’arto superiore 54 2.6 Arterie del bacino e dell’arto inferiore 58 2.7 Sistematica delle vene 66 2.8 Territorio di afflusso della vena cava superiore 68 2.9 Territorio di afflusso della vena cava inferiore 74 2.10 Sistematica dei vasi linfatici e dei linfonodi 78 2.11 Struttura e funzione dei vasi sanguigni e dei vasi linfatici 86 2
Capitolo

Valvole cardiache

Valvole a lembi

Le valvole atrioventricolari sono valvole a lembi responsabili della chiusura tra atrio e ventricolo durante la sistole. I lembi (cuspidi)sono costituiti da una membrana connettivale, rivestita su entrambi i lati da endocardio, e non ospitano vasi sanguigni. La superficie dei lembi che sporge nell’atrio è liscia e dai suoi margini liberi e dal versante inferiore originano le corde tendinee. Valvola tricuspide I tre lembi di questa valvola si trovano rispettivamente in posizione anteriore (cuspide anteriore, A-C1), posteriore (cuspide posteriore, A-C2) e in corrispondenza del setto interventricolare (cuspide settale, A-C3). La cuspide anteriore (A-C1) è la più grande; le sue corde tendinee sono ancorate sul robusto muscolo papillare anteriore (C4) che si origina dalla trabecola settomarginale. L’attaccatura della cuspide settale (C5) è situata a livello della porzione membranosa del setto interventricolare, suddividendolo in una porzione interventricolare anteriore, situata tra i due ventricoli, e in una porzione atrioventricolare posteriore, situata tra l’atrio destro e il ventricolo sinistro. Tra le tre grandi cuspidi si trovano piccole cuspidi di collegamento (A-C6) che tuttavia non raggiungono l’anello fibroso.

Valvola bicuspide L a valvola bicuspide (valvola mitrale) chiude l’ostio atrioventricolare sinistro ed è costituita da due lembi, uno anteromediale (cuspide anteriore, AB7) e uno posterolaterale (cuspide posteriore, AB8). Le corde tendinee sono corte ma robuste e originano in parte dal muscolo papillare anteriore e in parte da quello posteriore, cosicché ogni muscolo papillare è collegato a porzioni adiacenti di entrambi i lembi valvolari. In corrispondenza del suo punto di origine settale, la cuspide anteriore trapassa nella parete dell’aorta (AB9). Oltre ai due lembi grandi, la valvola mitrale possiede anche due lembi più piccoli, le cuspidi commisurali (AB10), che tuttavia non raggiungono l’anello fibroso.

Anatomia funzionale Durante la fase di riempimento, la diastole ventricolare, quando il sangue fluisce dagli atri ai ventricoli, i margini delle cuspidi si allontanano l’uno dall’altro, aprendo la valvola (A). Durante la fase di espulsione, la sistole ventricolare, il miocardio ventricolare si contrae e la colonna ematica

viene spinta nella via di efflusso (B). Il complesso apparato di ancoraggio delle valvole a lembi impedisce che le cuspidi vengano ribaltate nell’atrio.

Valvole a nido di rondine

Le valvole del tronco polmonare ( AB11 ) e dell’aorta (AB9) sono costituite da tre tasche approssimativamente delle medesime dimensioni, le valvole semilunari. Si tratta di una duplicatura dell’endocardio. L’attaccatura delle valvole a nido di rondine è ad arco e le pareti delle arterie in corrispondenza delle tasche sono sottili e rigonfie (D). Il margine libero di ogni tasca presenta al centro un nodulo fibroso, il nodulo delle valvole semilunari (D12). A entrambi i lati del nodulo si estende lungo il margine della tasca un sottile orlo a forma di semiluna, la lunula delle valvole semilunari (D13).

Valvola polmonare (va lvola del tronco polmonare) Questa valvola è costituita da una tasca anteriore, la valvola semilunare anteriore (A14), da una tasca destra, la valvola semilunare destra (A15), e da una tasca sinistra, la valvola semilunare sinistra (A16). Rispetto alla valvola, la parete del tronco polmonare è incurvata a formare un seno poco profondo (A17).

Valvola aortica È costituita da una tasca posteriore, la valvola semilunare posteriore (A18), da una tasca destra, la valvola semilunare destra (A19), e da una tasca sinistra, la valvola semilunare sinistra (A20). In corrispondenza di ogni tasca la parete vasale risulta incurvata verso l’esterno a formare i seni aortici (A21) e pertanto in sezione trasversale il diametro del vaso risulta allargato (bulbo aortico). Nel seno aortico della tasca sinistra (D) origina l’a. coronaria sinistra (AD22), nel seno aortico della tasca destra origina l’a. coronaria destra (AD23).

Anatomia funzionale Durante la diastole ventricolare (A), quando la colonna ematica nel tronco polmonare e quella nell’aorta esercitano una forte pressione sulle pareti vasali, le tasche si distendono, chiudendo le valvole. Il nodulo situato in corrispondenza dei margini delle tasche garantisce la chiusura. Durante la sistole ventricolare (B), quando la pressione nel ventricolo è maggiore, i margini delle tasche si allontanano l’uno dall’altro, senza peraltro accostarsi completamente alla parete del vaso a causa della formazione di vortici.

2.2 Cuore 22 2 Sistema cardiocircolatorio
2.2 Cuore 23 2 Sistema
11 14 15 17 16 22 20 19 18 21 1 2 3 10 8 7 10 6 4 5 3 2 1 22 23 1213 9 23 6 9 6 11 10 7 10 8 3 1 2
cardiocircolatorio A Piano valvolare (diastole) C Valvola tricuspide; vista anteriore B Piano valvolare (sistole) D Valvola aortica sezionata e aperta Figura 2.9 Valvole cardiache

Anatomia per sezioni (continuazione)

Piano di sezione trasversale a livello della 7a vertebra toracica (T7) (A)

Il piano di sezione interessa l’aorta ad altezza delle valvole semilunari (A1). Anteriormente rispetto all’aorta si riconosce la via di efflusso del ventricolo destro, il cono arterioso (A2). A destra l’aorta risulta circondata dall’auricola (A3) dell’atrio destro. Nel tessuto adiposo sottoepicardico (A4) sul lato sinistro, sono state colte in sezione, in prossimità dell’aorta, l’arteria coronaria sinistra (A5) e l’auricola sinistra (A6). La sezione posteriore del cuore interessa l’atrio sinistro (A7) a livello della regione a parete liscia con lo sbocco delle vv. polmonari (A8) inferiori. Posteriormente rispetto all’atrio sinistro e in stretta prossimità con questo si distingue l’esofago (A9).

A10 Ramo dell’a. polmonare destra

A11 Ramo dell’a. polmonare sinistra

A12 Cavità pericardica

A13 Cartilagine costale

A14 Polmone destro

A15 V. polmonare destra inferiore

A16 V. azygos

A17 Aorta discendente

A18 Polmone sinistro

A19 Bronchiolo lobulare destro

A20 Bronchiolo lobulare sinistro

A31 Dotto toracico

Piano di sezione trasversale a livello della 8a vertebra toracica (T8) (B)

Il piano di sezione coglie tutte e quattro le camere del cuore all’altezza delle vie di afflusso attraverso le valvole atrioventricolari. In base al tipo di rappresentazione, l’apice del cuore (B22), formato dal ventricolo sinistro (B21), è diretto in alto a destra. A causa del diverso spessore del miocardio, il ventricolo destro (B23) è facilmente distinguibile da quello sinistro. Nel tessuto adiposo sottoepicardico (B4) sono state colte le aa. coronarie destra (B24) e sinistra (B5). Nella via di afflusso del ventricolo destro sporge la cuspide anteriore della valvola tricuspide (B25), mentre nella via di afflusso del ventricolo sinistro sporge la cuspide anteriore della valvola bicuspide (B26). Nel ventricolo sinistro si riconosce inoltre il robusto gruppo anteriore di muscoli papillari (B27). Tra i due atri è stato colto il setto interatriale (B28) e tra i due ventricoli il

setto interventricolare (B29). Anche in questa sezione è riconoscibile la stretta contiguità tra atrio sinistro ed esofago (B9). L’aorta discendente (B17) confina a sinistra e posteriormente con l’esofago. La v. azygos (B16) si trova in posizione immediatamente anteriore rispetto al corpo vertebrale.

B10 Ramo dell’a. polmonare destra

B11 Ramo dell’a. polmonare sinistra

B12 Cavità pericardica (seno obliquo)

B14 Polmone destro

B15 V. polmonare destra inferiore

B17 Aorta discendente

B18 Polmone sinistro

B19 Bronchiolo lobulare destro

B20 Bronchiolo lobulare sinistro

B30 Atrio destro

B31 Dotto toracico

Indicazioni cliniche Grazie alla vicinanza topografica di esofago e atrio sinistro, nella valutazione del cuore oltre all’ecocardiografia si ricorre anche a una variante transesofagea (elettrocardiogramma transesofageo o Eco TEE). Quest’ultimo è particolarmente utile per la valutazione di patologie a livello delle valvole cardiache, in caso di difetti dei setti e per la valutazione di trombi atriali.

2.2 Cuore 38 2 Sistema cardiocircolatorio
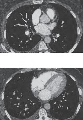
Figura 21.17D TC corrispondente al piano in B
2.2 Cuore 39 2 Sistema
13 2 1 7 8 9 17 15 19 10 20 11 5 18 6 3 12 14 4 16 23 22 21 29 27 26 5 12 9 15 19 10 16 17 20 11 18 28 30 14 25 24 4 7 31 31
cardiocircolatorio
A Piano di sezione trasversale a livello di T7 B Piano di sezione trasversale a livello di T8 Figura 2.17 Anatomia per sezioni (continuazione)
Capitolo 8 Gravidanza e sviluppo umano 8.1 Gameti 294 8.2 Fecondazione 296 8.3 Prime fasi dello sviluppo 298 8.4 Placenta 302 8.5 Parto 304 8.6 Generalità dello sviluppo e periodo prenatale 310 8.7 Sviluppo di organi e apparati 318 8.8 Sviluppo dei vasi 322 8.9 Apparato respiratorio 324 8.10 Apparato digerente 326 8.11 Apparato urinario 332 8.12 Apparato genitale 334 8.13 Periodo perinatale 338 8.14 Periodo postnatale 340 8

Periodo embrionale (continuazione)

Stadi 10-12 (settimana 4) In tutti gli stadi continua lo sviluppo dei somiti: durante lo stadio 10 si contano 4-12, allo stadio 11 (AB) 13-20 (AB1) e allo stadio 12 21-29 somiti. Nello stadio 10 le creste neurali (AB2) iniziano a fondersi per dare il tubo neurale. Dall’estremità anteriore del tubo neurale origina l’encefalo, da quella posteriore il midollo spinale. Cranialmente e caudalmente il tubo neurale rimane ancora aperto, con il neuroporo anteriore (AB3) e il neuroporo posteriore (AB4). Nello stadio 11 l’embrione è curvato e provvisto di una piega cefalica (B5) e di una piega caudale (B6), e risultano visibili sia le prime due coppie di archi branchiali (B7) sia la vescicola ottica. Il neuroporo anteriore si chiude. Nello stadio 12 si contano tre coppie di archi branchiali, il neuroporo posteriore si chiude e si riconosce la fossetta acustica. L’abbozzo cardiaco è formato da un’ansa, che inizia a manifestare attività contrattili. Si sviluppano gli abbozzi degli arti superiori.

Stadi 13-15 (settimana 5) L’embrione è fortemente curvato e possiede 30 o più somiti (il numero preciso è difficilmente determinabile). Nello stadio 13 sono visibili quattro coppie di archi branchiali, il placode del cristallino è abbozzato e si sviluppano gli abbozzi degli arti inferiori. Nello stadio 14 è possibile riconoscere sia il cristallino sia la fossetta nasale; si è formato il calice ottico e il differenziamento degli arti prosegue. Nello stadio 15 si sono sviluppate le vescicole encefaliche e l’abbozzo della mano.

Stadi 16-18 (settimana 6) Tali stadi sono caratterizzati da ulteriori differenziamenti degli arti: si forma l’abbozzo del piede (C8 ) e delle dita della mano (C9). Nello stadio 18 il gomito è riconoscibile e si sviluppano le dita dei piedi. Ha inizio l’ossificazione negli abbozzi ossei mesenchimali. Allo sviluppo della faccia contribuiscono la formazione dei tubercoli auricolari, quella del solco nasolacrimale, la formazione della punta del naso e delle palpebre e la pigmentazione degli occhi.

Stadi 19-20 (settimana 7) L’embrione risulta meno curvato, poiché il tronco si è allungato ed esteso e, rispetto al tronco, la testa si è ingrandita. Anche gli arti si allungano e si accrescono oltre l’abbozzo cardiaco, disponendosi ventralmente. A causa di mancanza di spazio nella cavità addominale dell’embrione, le anse dell’intestino medio vengono dislocate nel cordone ombelicale.

Stadi 21-23 (settimana 8) Gli stadi dell’ultima settimana del periodo embrionale sono caratterizzati dal differenziamento dei tipici caratteri umani. La testa risulta meno curvata e si sviluppa il collo (D10). Si sviluppano inoltre l’orecchio esterno (D11) e le palpebre (D12). Gli arti si allungano, le dita (D13) sono formate da più falangi e risultano reciprocamente separate. Si sviluppano le dita dei piedi e ha inizio l’ossificazione condrale. In corrispondenza dei genitali esterni si manifestano specifiche differenze di sesso.

Periodo fetale (generalità)

Il periodo fetale è caratterizzato dal differenziamento e dalla maturazione degli apparati e dal rapido accrescimento del feto. Le dimensioni corporee del feto vengono determinate in base alla lunghezza vertice del cranio-coccige (LVC) (in posizione seduta) o in base alla lunghezza vertice del cranio-tallone (LVT) (con gambe distese) e vengono espresse in mm o in cm. Per l’esatta determinazione delle dimensioni e dell’età, in base all’esame ecografico è inoltre possibile misurare il diametro biparietale (DBP) del cranio e la lunghezza del femore. All’inizio della nona settimana il feto pesa circa 10 grammi, mentre al termine del periodo fetale il suo peso ammonta a circa 3400 grammi.

I principali cambiamenti del feto vengono rilevati a distanza di un mese. In questo caso si osserva soprattutto l’accrescimento quasi sproporzionato della testa rispetto al tronco e agli arti. Infatti, all’inizio del periodo fetale la testa misura quasi metà della lunghezza totale del feto, mentre alla fine del periodo prenatale essa costituisce soltanto un quarto della lunghezza totale.

8.6 Generalità dello sviluppo e periodo prenatale 314 8 Gravidanza e sviluppo umano
8.6 Generalità dello sviluppo e periodo prenatale 315 8 Gravidanza e
9 8 7 1 6 4 5 3 1 2 3 12 13 11 10 2 4
sviluppo umano
A Stadio 11 precoce, vista dorsale B Stadio 11 avanzato, vista laterale
23
23
C Stadio 17
D Stadio
E Ecografia allo stadio
Figura 8.11 Periodo embrionale e fetale

Periodo fetale (sviluppo mensile)

9a-12a settimana A causa del rapido accrescimento dimensionale, entro la fine della 12a settimana la LVC raddoppia. In rapporto al tronco, il collo e gli arti, in particolare quelli superiori, aumentano (A). La faccia assume tratti maggiormente caratteristici, poiché gli occhi, inizialmente collocati su un piano piuttosto laterale, migrano in direzione ventrale e gli orecchi assumono la loro posizione definitiva ai lati della testa. Le palpebre aderiscono le une alle altre, chiudendo la rima palpebrale. Entro l’11a-12a settimana, le anse intestinali collocate nel cordone ombelicale si riportano nella cavità addominale ora più spaziosa. Nella 12a settimana ha luogo il definitivo differenziamento tra organi genitali esterni maschili e femminili.

13a-16a settimana Tale periodo è caratterizzato da un accrescimento estremamente rapido del tronco, del collo e degli arti. La testa si solleva. Il corpo si copre di sottili peli, la lanugine, e il tipo di capigliatura diventa riconoscibile. L’ossificazione procede, cosicché nel feto di 16 settimane (B) le ossa sono riconoscibili in radiografia.

17 a-20 a settimana L’accrescimento del feto rallenta nuovamente e durante tale periodo l’aumento di peso è scarso. Anche i segmenti degli arti inferiori hanno raggiunto le loro proporzioni definitive (C). Le ghiandole sebacee secernono una sostanza grassa e biancastra, la vernice caseosa, che protegge la cute del feto dalla macerazione causata dal liquido amniotico. Si sviluppano i capelli e le sopracciglia. In tale periodo la madre percepisce per la prima volta i movimento del feto ed è consigliabile effettuare un esame ecografico di routine (D).

21a-25a settimana L’aumento di peso continua. Tuttavia, poiché i cuscinetti adiposi sottocutanei non si sono ancora formati e la cute si ac-

cresce rapidamente, il feto presenta un aspetto rosso e grinzoso. Si sono sviluppate le unghie, la faccia e il corpo hanno assunto l’aspetto di un feto al termine di gravidanza. Tuttavia, di regola soltanto i feti partoriti dopo la 25a settimana riescono a sopravvivere, poiché solo a partire da questo momento il sistema respiratorio è sufficientemente sviluppato per iniziare la sua attività funzionale.

26a-29a settimana In seguito allo sviluppo dei cuscinetti adiposi sottocutanei, il corpo diventa più rotondo e robusto e aumenta notevolmente di peso. Le palpebre si separano, cosicché gli occhi sono nuovamente aperti (D). Le sopracciglia e le ciglia sono ben sviluppate. I capelli si allungano. In linea di principio, a partire da questo periodo i feti partoriti prematuri sono capaci di sopravvivere.

30 a-34 a settimana L a percentuale di tessuto adiposo sottocutaneo aumenta ulteriormente rispetto al peso corporeo; anche gli arti superiori e inferiori si irrobustiscono e la pelle assume un colore roseo. Le unghie della mano si sono accresciute fino alla punta delle dita, mentre quelle dei piedi iniziano appena a formarsi. Nei feti di sesso maschile i testicoli iniziano a discendere (discesa dei testicoli).

35a-38a settimana Nell’ultimo mese di gravidanza, soprattutto il tronco del feto aumenta di larghezza. In corrispondenza della parete addominale, il punto di inserzione del cordone ombelicale è migrato al centro. Le unghie delle dita dei piedi raggiungono l’estremità delle dita e i peli della lanugine cadono, cosicché la cute è rivestita solamente dalla vernice caseosa. Nel feto di sesso maschile, i testicoli migrano nello scroto, mentre nel feto di sesso femminile le ovaie sono ancora collocate al di sopra della piccola pelvi.

8.6 Generalità dello sviluppo e periodo prenatale 316 8 Gravidanza e sviluppo umano

A

B Feto, 16a settimana, sviluppo dello scheletro, rosso alizarina

D Ecografia C Feto, 20a settimana

8.6 Generalità dello sviluppo e periodo prenatale 317 8 Gravidanza e sviluppo umano
Feto, 9a settimana Figura 8.12 Periodo fetale

Mentre il naso e le cavità paranasali si sviluppano in rapporto allo sviluppo della faccia, le restanti porzioni derivano dall’intestino anteriore.

Naso e cavità paranasali La faccia dell’embrione di cinque settimane mostra nella regione del futuro naso protuberanze formate da ectoderma superficiale e da mesenchima della cresta neurale (A): la prominenza frontonasale (A1), la protuberanza nasale mediale (A2) e laterale (A3), la protuberanza mascellare (A4) e quella mandibolare (A5). Le protuberanze nasali circondano la fossa nasale, che già durante la sesta settimana scende in profondità come sacchi nasali che si trasformano in cavità nasale primordiale (B6). Quest’ultima è inizialmente separata dal cavo orale primordiale da una sottile membrana oronasale (B7). La rottura di questa membrana alla fine della sesta settimana apre un collegamento tra cavità nasale e cavità orale attraverso le coane primarie (C8), situate direttamente sopra il palato primario. In seguito alla formazione del palato secondario, di conche nasali in corrispondenza della parete nasale laterale e di un setto nasale, dalle protuberanze nasali mediali (D9) si originano le cavità nasali definitive e le coane definitive.

Queste ultime si trovano adesso in corrispondenza del collegamento tra cavità nasale e faringe. Le cavità paranasali nascono durante il periodo fetale da evaginazioni della parete nasale laterale; il loro sviluppo definitivo avviene soltanto durante il periodo postnatale dall’ectoderma superficiale e dal mesenchima della cresta neurale.

Laringe, trachea e albero bronchiale Nella parete ventrale dell’intestino anteriore dell’embrione di quattro settimane si origina inizialmente un’evaginazione, la doccia laringotracheale, che si amplia a formare un diverticolo tracheobronchiale (E10). Questo fornisce il rivestimento epiteliale per la laringe, la trachea e l’albero bronchiale. All’inizio il diverticolo comunica direttamente con l’intestino anteriore. In seguito al suo accrescimento in lunghezza si formano due pieghe longitudinali (E11), che

si fondono a formare il setto esofagotracheale ( F12 ). Quest’ultimo separa una porzione respiratoria ventrale da una porzione esofagea dorsale. In sede craniale la porzione respiratoria rimane aperta verso la faringe attraverso l’ingresso laringeo a forma di T. Le cartilagini e i muscoli laringei derivano dal mesenchima del IV-VI arco branchiale (G).

Evaginazioni laterali del diverticolo tracheobronchiale formano gli abbozzi polmonari (FH13), che si accrescono all’inizio della quinta settimana a dare i bronchi principali. Gli abbozzi polmonari in via di proliferazione si accrescono all’interno dei canali pleuropericardici (H14) che si sviluppano su entrambi i lati a formare una cavità pleurica dotata di lamina viscerale (I15) e lamina parietale (I16), indipendente dalla cavità pericardica e dalla cavità peritoneale.

La progressiva proliferazione dà origine a destra a tre e a sinistra a due bronchi lobari. In base alla suddivisione dicotoma si formano in seguito i bronchi segmentali (HI) e poi numerose generazioni di bronchi e di bronchioli. Questo sviluppo delle vie di conduzione dell’aria somiglia inizialmente alla crescita di una ghiandola e viene pertanto definito fase pseudoghiandolare. Fino alla settima settimana si formano canali progressivamente più piccoli e a lume stretto (fase canicolare, J) nelle cui adiacenze aumentano i vasi sanguigni ( J17 ) che si sviluppano dalla splancnopleura. Soltanto durante la 26a settimana si formano i sacchi terminali (K18) come precursori degli alveoli (fase dei sacchi terminali ). Durante tale processo i capillari vengono a trovarsi in stretta vicinanza con i sacchi terminali, al cui interno si differenziano due tipi di cellule. In questo modo già alla fine del sesto mese è possibile dimostrare la presenza di cellule epiteliali alveolari di tipo II che producono surfactante. Negli ultimi due mesi prenatali si differenziano e si accrescono gli alveoli che formano con i capillari adiacenti (K) la barriera sangue-aria (fase alveolare).

8.9 Apparato respiratorio 324 8 Gravidanza e sviluppo umano

I abbozzo branchiale

II abbozzo branchiale

III abbozzo branchiale

IV abbozzo branchiale

VI abbozzo branchiale

8.9 Apparato respiratorio 325 8 Gravidanza
1 6 7 8 2 3 4 5 9 11 10 12 13 17 15 13 14 16
e sviluppo umano A Faccia embrionale, 5a settimana D Faccia embrionale, 7a settimana B Faccia embrionale, 6a settimana, sezione sagittale C Faccia embrionale, 7a settimana, sezione sagittale G Derivati degli archi branchiali K Fase dei sacchi terminali J Fase canicolare F Abbozzi polmonari, 5a settimana E Diverticolo respiratorio, 4a settimana H Abbozzo polmonare e canale pleuropericardico, 5a settimana I Polmone e cavità pleurica, 8a settimana Figura 8.16 Apparato respiratorio

Copyright © 2023 of the original English language edition by Georg Thieme Verlag KG, Stuttgart, Germany

Original title: Color Atlas of Human Anatomy, Vol. 2: Internal Organs, 7th edition, by Helga Fritsch and Wolfgang Kühnel

Copyright © 2023 dell’edizione originale in lingua inglese, pubblicata da Georg Thieme Verlag KG, Stuttgart, Germania

Titolo originale: Color Atlas of Human Anatomy, Vol. 2: Internal Organs, settima edizione, di Helga Fritsch e Wolfgang Kühnel

© 2024 CEA - Casa Editrice Ambrosiana, viale Romagna 5, 20089 Rozzano (MI) [89956]

CEA - Casa Editrice Ambrosiana è un marchio editoriale di Zanichelli editore S.p.A.

Traduzione: Cristina Benedetti

Diritti riservati

I diritti di pubblicazione, riproduzione, comunicazione, distribuzione, trascrizione, traduzione, noleggio, prestito, esecuzione, elaborazione in qualsiasi forma o opera, di memorizzazione anche digitale e di adattamento totale o parziale su supporti di qualsiasi tipo e con qualsiasi mezzo (comprese le copie digitali e fotostatiche), sono riservati per tutti i paesi. L’acquisto della presente copia dell’opera non implica il trasferimento dei suddetti diritti né li esaurisce.

Fotocopie e permessi di riproduzione

Le fotocopie per uso personale (cioè privato e individuale, con esclusione quindi di strumenti di uso collettivo) possono essere effettuate, nei limiti del 15% di ciascun volume, dietro pagamento alla S.I.A.E. del compenso previsto dall’art. 68, commi 4 e 5, della legge 22 aprile 1941 n. 633. Tali fotocopie possono essere effettuate negli esercizi commerciali convenzionati S.I.A.E. o con altre modalità indicate da S.I.A.E.

Per le riproduzioni ad uso non personale (ad esempio: professionale, economico, commerciale, strumenti di studio collettivi, come dispense e simili) l’editore potrà concedere a pagamento l’autorizzazione a riprodurre un numero di pagine non superiore al 15% delle pagine del presente volume.

Le richieste vanno inoltrate a: Centro Licenze e Autorizzazioni per le Riproduzioni Editoriali (CLEARedi), Corso di Porta Romana 108, 20122 Milano e-mail: autorizzazioni@clearedi.org e sito web: www.clearedi.org

L’autorizzazione non è concessa per un limitato numero di opere di carattere didattico riprodotte nell’elenco che si trova all’indirizzo www.zanichelli.it/chi-siamo/fotocopie-e-permessi

L’editore, per quanto di propria spettanza, considera rare le opere fuori del proprio catalogo editoriale. La loro fotocopia per i soli esemplari esistenti nelle biblioteche è consentita, anche oltre il limite del 15%, non essendo concorrenziale all’opera. Non possono considerarsi rare le opere di cui esiste, nel catalogo dell’editore, una successiva edizione, né le opere presenti in cataloghi di altri editori o le opere antologiche. Nei contratti di cessione è esclusa, per biblioteche, istituti di istruzione, musei e archivi, la facoltà di cui all’art. 71-ter legge diritto d’autore. Per permessi di riproduzione, diversi dalle fotocopie, rivolgersi a ufficiocontratti@zanichelli.it

Licenze per riassunto, citazione e riproduzione parziale a uso didattico con mezzi digitali

La citazione, la riproduzione e il riassunto, se fatti con mezzi digitali, sono consentiti (art. 70 bis legge sul diritto d’autore), limitatamente a brani o parti di opera, a) esclusivamente per finalità illustrative a uso didattico, nei limiti di quanto giustificato dallo scopo non commerciale perseguito. (La finalità illustrativa si consegue con esempi, chiarimenti, commenti,

Redazione: Cristina Benedetti

Impaginazione: Garon, Cremona

Prima edizione italiana: 1979

Quinta edizione italiana: gennaio 2016

Sesta edizione italiana: maggio 2024

Ristampa: prima tiratura

5 4 3 2 1

spiegazioni, domande, nel corso di una lezione); b) sotto la responsabilità di un istituto di istruzione, nei suoi locali o in altro luogo o in un ambiente elettronico sicuro, accessibili solo al personale docente di tale istituto e agli alunni o studenti iscritti al corso di studi in cui le parti di opere sono utilizzate; c) a condizione che, per i materiali educativi, non siano disponibili sul mercato licenze volontarie che autorizzano tali usi.

Zanichelli offre al mercato due tipi di licenze di durata limitata all’anno accademico in cui le licenze sono concesse:

A) licenze gratuite per la riproduzione, citazione o riassunto di una parte di opera non superiore al 5%. Non è consentito superare tale limite del 5% attraverso una pluralità di licenze gratuite, B) licenze a pagamento per la riproduzione, citazione, riassunto parziale ma superiore al 5% e comunque inferiore al 40% dell’opera. Per usufruire di tali licenze occorre seguire le istruzioni su www.zanichelli.it/licenzeeducative

L’autorizzazione è strettamente riservata all’istituto educativo licenziatario e non è trasferibile in alcun modo e a qualsiasi titolo.

Garanzie relative alle risorse digitali

Le risorse digitali di questo volume sono riservate a chi acquista un volume nuovo: vedi anche al sito www.zanichelli.it/contatti/acquisti-e-recesso le voci Informazioni generali su risorse collegate a libri cartacei e Risorse digitali e libri non nuovi

Zanichelli garantisce direttamente all’acquirente la piena funzionalità di tali risorse. In caso di malfunzionamento rivolgersi a assistenza@zanichelli.it La garanzia di aggiornamento è limitata alla correzione degli errori e all’eliminazione di malfunzionamenti presenti al momento della creazione dell’opera. Zanichelli garantisce inoltre che le risorse digitali di questo volume sotto il suo controllo saranno accessibili, a partire dall’acquisto, per tutta la durata della normale utilizzazione didattica dell’opera. Passato questo periodo, alcune o tutte le risorse potrebbero non essere più accessibili o disponibili: per maggiori informazioni, leggi my.zanichelli.it/fuoricatalogo

Soluzioni degli esercizi e altri svolgimenti di compiti assegnati Le soluzioni degli esercizi, compresi i passaggi che portano ai risultati e gli altri svolgimenti di compiti assegnati, sono tutelate dalla legge sul diritto d’autore in quanto elaborazioni di esercizi a loro volta considerati opere creative tutelate, e pertanto non possono essere diffuse, comunicate a terzi e/o utilizzate economicamente, se non a fini esclusivi di attività didattica.

Diritto di TDM

L’estrazione di dati da questa opera o da parti di essa e le attività connesse non sono consentite, salvi i casi di utilizzazioni libere ammessi dalla legge. L’editore può concedere una licenza. La richiesta va indirizzata a tdm@zanichelli.it

Copertina:

- progetto grafico: Falcinelli & Co., Roma

- immagine di copertina: Carol Yepes/Getty Images

Realizzare un libro è un’operazione complessa, che richiede numerosi controlli: sul testo, sulle immagini e sulle relazioni che si stabiliscono tra loro. L’esperienza suggerisce che è praticamente impossibile pubblicare un libro privo di errori. Saremo quindi grati ai lettori che vorranno segnalarceli.

Per segnalazioni o suggerimenti relativi a questo libro rivolgersi a: segreteria_cea@ceaedizioni.it

Per comunicazioni di tipo commerciale rivolgersi a: universita@zanichelli.it

Stampato da:

2024 2025 2026 2027 2028

Helga Fritsch

Wolfgang Kühnel

ATLANTE TASCABILE

Anatomia

umana 2

Splancnologia

Sesta edizione italiana

Inquadra e scopri i contenuti

Le risorse digitali universita.zanichelli.it/fritsch

A questo indirizzo sono disponibili le risorse digitali di complemento al libro.

Libro con Ebook

Chi acquista il libro nuovo può accedere gratuitamente all’Ebook, seguendo le istruzioni presenti nel sito.

L’accesso all’Ebook e alle risorse digitali protette è personale, non condivisibile e non cedibile, né autonomamente né con la cessione del libro cartaceo.

L’opera Atlante tascabile - Anatomia umana raccoglie in tre volumi, e in modo compatto, le conoscenze anatomiche del corpo umano e delle sue strutture, ed è da quasi cinquant’anni un punto di riferimento per prepararsi agli esami e per la consultazione.

Il Volume 2 è dedicato all’anatomia macroscopica e topografica degli organi interni, di cui sono approfondite anche la funzione e l’origine embrionale. In particolare, un intero capitolo è dedicato alla gravidanza e allo sviluppo umano. La struttura è quella di un atlante, dove la componente visiva ha un ruolo centrale, con oltre 200 tavole anatomiche a colori. Per molte sezioni anatomiche sono fornite le corrispondenti fotografie ottenute mediante TC e RMN. Queste immagini, insieme alle rubriche Indicazioni cliniche e Anatomia funzionale, aiutano a comprendere come applicare le conoscenze anatomiche alla pratica medica. Nel sito del libro sono disponibili numerose flashcard per il ripasso.

Helga Fritsch è professoressa di Anatomia e dirige il dipartimento di Anatomia, Istologia ed Embriologia dell’Università di Medicina di Innsbruck, in Austria.

Wolfgang Kühnel† è stato un importante anatomista tedesco, a lungo segretario generale della Società di Anatomia e direttore dell’Istituto di Anatomia dell’Università di Medicina di Lübeck, in Germania.

IS BN 978 -88- 08 - 89956-9 FRITSCH*ANATOMIA UMANA 2 6ED(CEALUMKQ 9 788808899569 5 6 7 8 9 0 1 2 3 (64A)

Turn static files into dynamic content formats.

Create a flipbook
Issuu converts static files into: digital portfolios, online yearbooks, online catalogs, digital photo albums and more. Sign up and create your flipbook.
Anteprima - Atlante tascabile Anatomia umana vol. 2 - Splancnologia 6E by zanichelli_editore - Issuu