



















































































![]()




















































































GERALD M. MARLIN, DMD, MSD
At Elite Prosthetic Dentistry, our “dream team” delivers an extraordinary blend of clinical precision and genuine care. Led by Gerald M. Marlin, D.M.D., M.S.D., a renowned specialist with over 3,700 successful implant procedures and a history of crafting crowns that last over 35 years, we are the trusted choice for adults seeking implant, cosmetic, and reconstructive dentistry in the Washington, DC metropolitan area. Why Choose Elite Prosthetic Dentistry?
• Expertise in saving teeth, problem-solving failing restorations, and addressing TMJ issues. Proven success in implant therapy, offering long-term results with minimal bone loss.
• Comprehensive care, including surgical implant placement, bone grafting, and custom restorations—all performed in our state-of-the-art office.
• An in-house laboratory ensuring efficiency and precision for veneers, crowns, and implant restorations.
• A warm, caring environment supported by a highly skilled team with an average tenure with us of 14+ years, complemented by oral and IV sedation protocols. With a commitment to advanced digital technology and artistry, Dr. Marlin works closely with each patient to deliver “simply radiant, simply natural” results. Our crowns last more than three times the national average, and our implants boast a >97% success rate over 20 years. Your journey to a revitalized smile begins here. Contact us today to schedule your consultation and experience the difference of truly exceptional dental care.
Prosthodontist specializing in cosmetic, implant, and reconstructive dentistry, including crowns, veneers, and dentures.
DESIGNATIONS, AFFILIATIONS, and AWARDS
Invented and Patented an Implant Restoration System, Academy of Osseointegration, American College of Prosthodontics, American Academy of Periodontology, American Dental Association, DC Dental Society, Bethesda Magazine Top Dentist, Washingtonian Top Dentist for 22 years
4400 Jenifer Street, NW, Suite 220 Washington, DC 20015
202.244.2101
Concierge@eliteprostheticdentistry.com
EliteProstheticDentistry.com



SERVING MARYLAND & VIRGINIA Since 1990
Your Health Magazine is on a mission. There are far too many people, insured or not, who do not go to the doctor when they should, and in millions of cases, don’t know who they should go to, or why.
People are encouraged to buy a new house, car, cell phone or big screen TV, and those companies make themselves very visible and their products easily attainable.
Information about, and from, local healthcare providers is not easy to find, and many times those services are difficult to access.
Information and encouragement always lowers fear and trepidation about anything, and this is especially true in healthcare. While general information is available on web-sites, specific information from local providers is almost impossible for people to find. This is one of the key reasons chronic and episodic conditions are not cared for. It is our mission to:
Make A Difference By Empowering and Encouraging People To Live Healthier By Going To the Doctor When They Should.
There is a lot of evidence that the health professionals who participate in Your Health Magazine have helped many people over the years. We at Your Health Magazine salute you!
G. Scott Hunter, Editor-in-Chief
If you would like to find out how you can participate in one of our upcoming editions, please contact the office nearest you.
MARYLAND & WASHINGTON, DC OFFICE One Town Center 4201 Northview Drive, Suite #102 Bowie, MD 20716 Office (301) 805-6805 • Fax (301) 805-6808 info@yourhealthmagazine.net
VIRGINIA OFFICE Office (301) 805-6805 info@yourhealthmagazine.net © Your Health Magazine, 2025. The magazine and all of its contents are protected by copyright. For permission to reproduce any materials in this magazine, contact info@yourhealthmagazine.net
EDITOR-IN-CHIEF
Gregory Scott Hunter


By Jacqueline D. Griffiths, MD New View Eye Center
Small specks or clouds moving in your field of vision as you look at a blank wall or a clear blue sky are known as floaters. Most people have some floaters normally but do not notice them until they become numerous or more prominent.
“Floaters look like cobwebs, squiggly lines or floating bugs, and appear to be in front of the eye, but are actually floating inside.”
In most cases, floaters are part of the natural aging process. Floaters look like cobwebs, squiggly lines or floating bugs, and appear to be in front of the eye, but are actually floating inside. As we get older, the vitreous (the clear gel-like substance that fills the inside of the eye) tends to shrink slightly and detach from the retina, forming clumps within the eye. What you see are the shadows these clumps cast on the retina, the light-sensitive nerve layer lining the back of the eye.
Also known as floater laser treatment or laser floater removal, laser vitreolysis is a non-invasive, pain free procedure that can eliminate the visual disturbance caused by floaters. The goal of vitreolysis is to achieve a “functional improvement”. That is, to allow you to return to “normal” day-to-day activities without the hindrance of floaters.

Virtually every individual has experienced or will experience the visual shadows caused by floaters during their lifetime. For most, this event is a minor and short-lived inconvenience, but for a select few, it can become a disabling condition. Clinical studies have shown laser vitreolysis to be a highly effective and safe treatment in the majority of patients with symptomatic floaters.
Vitreolysis involves the application of nanosecond pulses of laser light to evaporate the vitreous

opacities and to sever the vitreous strands. During the process, the floater’s collagen and hyaluronin molecules are converted into a gas. The end result is that the floater is removed and/or reduced to a size that no longer impedes vision.
Who Can Benefit From Vitreolysis?
It is necessary to undergo an ophthalmic examination to determine your eligibility for vitreolysis treatment.
• Age: In most cases, younger patients (<45) suffer from microscopic floaters located close to the retina and are not considered to be good candidates for vitreolysis treatment.
• Onset of Symptoms: If your floater symptoms develop quickly then they may have been associated with PVD, which can be treated with vitreolysis.
• Floater Characteristics: Large floaters with a soft boarder, situated away from the retina, are ideally suited to treatment with vitreolysis. Complications and Side Effects Reported side effects and complications associated with vitreolysis are rare. Side effects may include cataract and intraocular pressure (IOP) spike.

Jacqueline D. Griffiths M.D. earned her undergraduate degree at Yale and her medical degree from the University of Michigan. Her Ophthalmology residency was completed at Georgetown University Medical Center.
Dr. Griffiths has been in private practice since 1994. She started her own practice and laser center, NewView Laser EyeTM in 1999 where she serves as the Medical Director. NewView’s Mission is to provide Excellence in Ophthalmologic services by giving personalized attention to every patient.
Dr. Griffiths is Board Certified and began performing laser vision correction practically from its inception in this country. She has performed thousands of cases and participated with the CRS-USA LASIK trials to get the LASIK procedure approved by the FDA.
In addition to offering Custom LASIK and PRK, NewView offers Laser Assisted Cataract Surgery, Multifocal IOLs, annual eye exams, glaucoma and diabetic screening exams, and cosmetic services including Botox, Restylane, Radiesse, Juvederm, and eyelid surgery. NewView Optical offers affordable high quality frames and lenses for the entire family (ages 5 and older).
Dr. Griffiths is the former Ophthalmology Section Chief of Reston Hospital Department of Surgery, the former Chief of Ophthalmology for the Reston Ambulatory Surgical Center in Reston, VA as well as Loudoun Hospital in Leesburg, VA, Diplomate of the American Board of Ophthalmology, a Fellow of the American Academy of Ophthalmology, a member of the American Society of Cataract and Refractive Surgery, the Washington National Eye Center and others.



Choose Adventist Medical Group Primary Care in Fort Washington, Maryland, to provide a full range of primary care services for adults.
Learn to better manage your health and prevent illnesses with personalized care from our experienced, primary care providers. Our specialists in family medicine and internal medicine work as a team to deliver expert care when you need:
• Same-day Sick Visits
• Women’s and Men’s Health and Wellness Exams
• Health Physicals, Health Maintenance and Preventive Care
• Geriatric (Senior) Wellness Exams
• Vaccinations and Immunizations, including Flu Shots
• Health Management for:
• Asthma and Allergies
• High Blood Pressure
• High Cholesterol
• Diabetes
• Heart Disease
You also benefit from coordinated care that helps you effectively handle all aspects of your health—from preventive medicine and preoperative appointments to management of chronic health conditions.
To schedule an appointment, please call 240-724-6018
10709 Indian Head Highway, Suite D1 Fort Washington, Maryland 20744 AdventistMedicalGroup.org
Submitted By Elon Roshell Day Spa & Health, LLC salt. These benefits range from improved skin health and respiratory relief to overall relaxation. “It’s good for your skin. If you have eczema, it’s good for different skin conditions. Also your lungs. For me, I have asthma. And after having this, I haven’t had to really carry my inhaler,” Richardson explained.
Elambert Richardson’s journey to founding Elon Roshell Day Spa & Health is a remarkable story of resilience, healing, and dedication to helping others. Richardson’s path began with a profound personal struggle and evolved into creating a sanctuary of well-being that includes innovative treatments like a unique salt cave.
Richardson, once a preschool teacher, faced a debilitating injury that altered the course of her life. Despite extensive physical therapy, her pain persisted, leading to depression and a diagnosis of fibromyalgia. Her doctor presented her with a stark choice: find a way to live or succumb to her condition. This critical moment propelled Richardson to seek healing beyond conventional methods.
Richardson shared another poignant aspect of her struggle: the hostile work environment that led to her depression and ultimately, PTSD. She recounts instances of mistreatment, including being ostracized by colleagues and subjected to demeaning messages. Despite enduring chronic pain and emotional distress, Richardson finds solace in helping others and is embarking on a journey of healing by sharing her story.
A pivotal turning point came with her reading of “The Ministry of Healing,” a book that highlighted the therapeutic power of helping others. This revelation ignited her determination to overcome her depression and explore a career in healthcare. Richardson began volunteering at her children’s school, pursued higher education, and ultimately found her calling in massage therapy.
Richardson’s journey was further challenged by the COVID-19 pandemic, which forced her business to close for 15 months. During this time, she also contracted the virus, requiring oxygen therapy. Remarkably, this treatment provided significant relief from her chronic pain. “The oxygen was so good. I mean, that was the first thing that, really like, I had no pain,” she recounted.
After her recovery, Richardson experienced a life-changing dream that inspired her to create a comprehensive health and wellness center in Calvert County. This vision became Elon Roshell Day Spa & Health, featuring an array of services designed to promote natural health and wellness, including an oxygen bar, hyperbaric chamber, and a signature salt cave.
The salt cave is a central feature of Richardson’s spa. Constructed with real salt bricks, the cave offers a serene environment where visitors can experience the benefits of inhaling medical-grade
Elon Roshell Day Spa & Health offers a variety of wellness services, including massage therapy, facials, waxing, oxygen therapy, red light therapy, infrared sauna, and ionic foot baths. This
holistic approach addresses both physical and mental well-being, providing a comprehensive healing experience.
Elambert Richardson also hosts a weekly Wellness Wednesday event at the spa. For just $25, attendees can experience the salt cave and participate in free small group health and wellness events. These events, largely led by Jeanette Umstead, a health coach at the spa, focus on Bible-based teachings of the 8 laws of health. These teachings emphasize principles such as a plant-


based diet and the importance of rest, believed to contribute to long lifespan and overall well-being when followed.
















Stone Springs MedSpa by LMG combines the medical expertise Loudoun Medical Group is known for with advanced aesthetic technology and luxurious treatments for a fresh take on skin and body care services. Stone Springs goes beyond a day spa, offering the solutions and results of a true medical spa. Our experienced providers, many with clinical backgrounds, create pampering, personalized and medically-focused treatment plans with non-surgical, minimally-invasive, and dermatologic procedures that enhance your skin, face, and body.

By Karl A. Smith, DDS, MS
Dentures are a good replacement option for patients who are missing all of their teeth, but only if they fit well.
Why
Impact on the bone by continuous hitting and pressure of a denture against the jaw every time you eat can make the bone underneath the denture go away. This causes the denture to become loose and slip. It may create the need for using paste or other means to hold the denture in place. Slipping dentures can make eating certain foods very difficult for patients. This happens most often with lower dentures.
Dental implants can be placed under the denture. Implants have offered the possibility of fully replacing teeth for over 30 years and are very safe and effective. When you make the denture stable by “snapping” it onto dental implants, you can provide a better level of comfort for the denture-wearer, and create new strength for eating the foods patients love.
Dentures are a good replacement option for patients who are missing all of their teeth, but only if they fit well.
Dental implants are very much like your natural teeth. They are quite easy to get used to, and they can reduce the amount of stress to the bone and jaw by helping provide an anchor for support. The implant acts as a natural root to help prevent additional bone deterioration and helps to deliver long lasting function.
Does Every
Denture-Wearer Qualify?
This depends on the amount of bone loss that has already taken place. If the denture has been in place for many years and the ridge of bone under it is very thin, you may need to have a special scan done to decide if you are a candidate for the procedure. This scan will also look for any other defects that may be present to make sure you are healthy. Since implants are meant to last for a very long time, your health and wellness are important to the outcome.
How Long Does a Patient Have To Go Without Teeth?
Never. The denture is fitted to the implants, the same day the implants are placed. Typically, you are back to normal or better eating by day two or three.
Do Dental Implants Hurt?
Most patients have little to no dis-
comfort. The surgery is done in one day, typically in just a few hours. There are sedation options available for this procedure for those patients who want to relax through the procedure.
Is Treatment Expensive?
The cost of treatment varies depending on the number of implants, if a new denture needs to be made, if the patient desires sedation, or if

there needs to be more bone added to have a good result. Costs are variable and should be weighed against factors such as the education of the doctor, the results from other patient experiences, and the quality of the product you are receiving.
Discover the difference dental implants can make for you. Schedule an appointment today!

– Dental Implants To Restore Your Beautiful Smile
– Caring & Kind Dentist & Team
– State-of-the-Art Equipment
– Laser Periodontic Therapy
– Affordable Gum Treatment
– Insurance Accepted & Filed
– Ultra-Sterile Environment
– No Referral Needed
– Comfortable Sedation Dentistry


Our patients mean the world to us (and they love to refer to us as friends and family). My team works together to ensure your visit is enjoyable, and that your treatment is gentle and pain-free. We are deeply committed to help you prevent and treat periodontal (gum) disease, and to enhance your smile to improve your overall health.




By Marc Stanard, DDS, Periodontist
In recent years, the connection between oral and systemic health has become increasingly clear. As a periodontist, I often see firsthand how chronic inflammatory diseases elsewhere in the body can complicate the treatment and healing of periodontal tissues — especially when surgery is required. Understanding these systemic links is crucial for optimizing surgical outcomes and preserving long-term oral health.
Systemic inflammation refers to the body’s ongoing immune response to underlying conditions such as diabetes, rheumatoid arthritis, cardiovascular disease, lupus, and inflammatory bowel disease
(IBD). These diseases elevate inflammatory markers like C-reactive protein (CRP), interleukin-6 (IL-6), and tumor necrosis factor-alpha (TNF-a), which can impair the body’s ability to heal wounds and control infection — both critical factors in periodontal surgery.
Patients with uncontrolled diabetes, for example, often exhibit delayed healing after procedures such as flap surgery, bone grafting, or implant placement. High blood glucose levels can restrict blood flow, suppress immune function, and interfere with collagen formation, all of which reduce the body’s ability to regenerate healthy periodontal tissue.
Autoimmune conditions, including rheumatoid arthritis and lupus, also pose unique challenges.

These patients may already be on immunosuppressive therapies, which can elevate their risk of post-operative infection and reduce their capacity to respond to surgical trauma. Moreover, the medications used to manage these conditions — such as corticosteroids or biologics — can interfere with tissue regeneration and bone metabolism.
Even cardiovascular disease, which shares many of the same inflammatory pathways as periodontal disease, has been associated with poorer outcomes following periodontal procedures. Studies have shown that patients with elevated systemic inflammation tend to experience greater bone loss and higher rates of surgical complications.
As a result, comprehensive
medical-dental coordination is essential. Prior to surgery, I work closely with each patient’s primary care provider or specialist to understand their systemic condition and ensure it is well-managed. In some cases, pre-surgical lab testing or medical clearance may be required. Post-operatively, we may adjust medications, extend healing periods, or schedule closer follow-ups.
In summary, systemic inflammatory conditions don’t just affect general health — they directly influence how patients respond to periodontal treatment. By taking a personalized, interdisciplinary approach, we can help patients achieve better surgical results, minimize complications, and protect their oral and systemic well-being.
Maintaining good dental hygiene is crucial, and Dr. Marc Stanard, a periodontist and specialist in surgical implant dentistry, can help you achieve healthy teeth comfortably. We offer a wide range of specialized procedures and services to cater to your periodontal needs, such as bone surgery, scaling, and root planing, gum grafts, crown lengthenings, and sinus lifts.
• We provide advanced, affordable dental care tailored to meet your unique needs.
• Our team offers oral hygiene instruction and education on gum disease, bone loss, and other dental health conditions.
• Dr. Marc Stanard has decades of experience and a passion for his work, and he’s earned numerous designations, affiliations, and awards, including Top DDS by Washingtonian and high ratings on Google and Yelp.
• Our office is friendly and welcoming, making it the perfect place to receive top-quality dental care.


By Lubrina Bryant, DPM District Podiatry, PLLC
Pedicures are a delightful treat for your feet, offering both aesthetic and health benefits. However, ensuring that your pedicure is safe and hygienic is essential to avoid infections and other foot problems. Here’s a guide to the do’s and don’ts of pedicure services to keep your feet healthy and beautiful.
The Do’s
1. Choose a Reputable Salon: Do your research and select a salon known for its cleanliness and high standards. Look for reviews and ask friends or family for recommendations.
2. Inspect the Salon’s Hygiene Practices: Ensure that the salon sterilizes all tools between clients. Autoclaves, which use steam to sterilize equipment, are ideal. If tools are stored in a disinfectant solution, make sure it’s freshly changed and not cloudy.
3. Bring Your Own Tools: Consider bringing your own nail clippers, files, and other instruments. This minimizes the risk of infection from improperly sanitized tools.
4. Ensure Technicians Use Fresh Liners: Make sure the salon uses a fresh plastic liner for each client if they use foot baths. This prevents the spread of bacteria and fungi from one person to another.
5. Communicate Your Needs: Inform the technician if you have any foot conditions such as diabetes, ingrown toenails, or fungal infections. This helps them to tailor their approach and avoid causing any harm.
6. Observe Proper Technique: Ensure that the technician trims your nails straight across to avoid ingrown toenails. Gentle filing is preferable to aggressive clipping, which can lead to injury.
The Don’ts
1. Don’t Shave Before a Pedicure: Shaving can create tiny nicks in your skin, making you more susceptible to infections. It’s best to avoid shaving your legs for at least 24 hours before your appointment.
2. Don’t Use Foot Razors: Avoid sa-
lons that use foot razors or “credo blades” to remove calluses. These tools can easily cut the skin and cause infections. Opt for a gentle pumice stone or foot file instead.
3. Don’t Allow Cuticle Cutting: Cuticles protect your nails from bacteria. Instead of cutting them, ask the technician to gently push them back. Cutting cuticles can lead to infections and nail damage.
4. Don’t Ignore Pain: Pedicures should be a relaxing experience. If you feel any pain, inform the technician immediately. Pain can be a sign that something is wrong, such as an ingrown toenail or an overly aggressive technique.
5. Don’t Rush the Process: A proper pedicure takes time. Rushing through the service increases the risk of mistakes and injuries. Make
sure the salon allocates sufficient time for each appointment to ensure thorough and careful treatment. By following these do’s and don’ts, you can enjoy the pampering experience of a pedicure while keeping your feet healthy and free from infections. Prioritizing hygiene and proper technique will ensure that your feet look and feel their best.


By Anne C. Crowley
Acupuncture Physician, Certified Chinese Herbal Practitioner Sarasota Acupuncture Center
Many clients have benefited both physically and emotionally from going on a course of GPL-1 Treatments. It gives them a headstart and the motivation to keep losing weight.
Not only that, GLP-1 medications have had some very positive side effects, like improved digestion and sleep.
So many fear gaining weight after the recommended course of treatment is over. And it has been reported that patients have gained weight slowly after the treatment is over.
My mission is “How to Prevent
Learn the Magical Keys of Your Constitutional Type: Wood, Fire, Earth, Metal, Water to Make Major Transformations in All Areas of Your Life.
5 Element Constitutional Coaching Has Helped with: Anxiety and Stress Management • Weight Loss Relationships • Fertility • Anti-Aging • Pain Management

CONTACT ANNE FOR YOUR FIRST CONSULT ON YOUR 5 ELEMENT TYPE AND GET A PLAN TO WALK AWAY WITH AND START MOVING FORWARD!
Herbal Consults are also available! – anne@sarasotaacupuncture.com www.SarastoaAcupunctureCenter.com – 301-752-2398 (text or call) Want to Lose Weight? Email Anne to learn about her exclusive Weight Loss video series!




this From Happening.”
As soon as you go on the drug, start a healthy program for yourself.
One client noticed she lost her sweet tooth the same night she started the shots. The next day as she had been phasing in, she began walking three miles in the morning at a cardio pace. She calls it “closing the green ring” on the Apple App. At first the watch had set goals for her of 40 mins cardio, then it kept asking her if she wanted to change her goals. Soon after she did 50 minutes cardio.
She has completed this walk almost every morning for three months, despite having to get up much earlier for her wake up.
Over the three months she had lost 20 lbs, a stubborn weight that due to schedules and changing routines, would not go off, no matter what she did.
While GLP-1 is the kickstart, lifestyle changes are key to keeping the weight off.
She also changed her diet on day

Anne C. Crowley Acupuncture Physician
one of administering the drug. Even in social gatherings, she kept to the low carb diet she wanted, even at an Italian restaurant. Yes, you can do it!
Now, there was another step she had to add. This was a much harder step because it required (for the most part) her leaving the house or her neighborhood. She had to start lifting weights. This is an important step when losing any weight but particularly with GLP-1 treatments.
Lifting weights will make the scale go up which is scary for most people. You can decide when you want to integrate this. And what will happen is your body will look better and your strength will increase. So there is a real positive trade off to this.
I’ve been working with weight loss clients for years. I too have lost a
Please see “GLP-1 Plan,” page 38

By Lynda Dean-Duru, DDS Ashburn Children’s Dentistry
Proper breathing during sleep is crucial for the overall well-being of children, yet many parents may not be fully aware of potential issues related to Sleep-Related Breathiang Disorders (SRBD), which includes pediatric obstructive sleep apnea (OSA).
SRBD refer to disturbances in normal breathing patterns during sleep, ranging from common snoring to more severe pauses in breathing known as
apnea events. These interruptions can lead to sleep deprivation and a variety of health complications. In the case of children, untreated SRDB can result in developmental, behavioral, and emotional challenges, potentially leading to conditions like allergies, ADD/ADHD, and depression.
Pediatric OSA, a condition where the airway is partially or completely blocked during sleep, is often caused by enlarged tonsils or adenoids and a lack of tongue space. It differs from adult OSA, as it may manifest alongside behavioral issues and daytime sleepiness in children.
The
During the first 18 months of a child’s life, crucial growth and developmental milestones occur, many of which are related to facial development. Ensuring proper breathing is essential for
By Troy Sukhu, MD Anne Arundel Urology
What is BPH?
Benign Prostatic Hyperplasia (BPH), commonly known as an enlarged prostate, is a condition that affects millions of men, particularly as they age. The prostate gland, located just below the bladder, tends to grow larger over time, which can lead to uncomfortable urinary symptoms.
Symptoms Of BPH:
• Frequent or urgent need to urinate
• Increased frequency of urination at night (nocturia)
• Difficulty starting urination
• Weak urine stream or a stream that stops and starts
• Dribbling at the end of urination
• Inability to completely empty the bladder
Why Choose Treatment For BPH?
Living with BPH can significantly impact your quality of life. The symptoms can interfere with daily activities, disrupt sleep, and lead to complications such as urinary tract infections or bladder damage. Seeking treatment can help alleviate these symptoms and improve your overall well-being.
Treatment Options: There are various treatment options available for BPH, ranging from medications to minimally invasive procedures and surgery. Some of the most effective treatments include:
• Medications: Alpha blockers and 5-alpha reductase inhibitors can help relax the prostate muscles and reduce its size.
• Minimally Invasive Procedures: Techniques like Urolift, Rezum, and the Optilume BPH Catheter System offer relief with fewer side effects and quicker recovery times.
• Surgery: For more severe cases, surgical options such as Transurethral Resection of the Prostate (TURP) can provide significant symptom relief.
Patient Testimonials:
Many men have found relief from BPH symptoms through various treatments. Here are some experiences:
• John’s TURP Experience: “After struggling with BPH symptoms for years, TURP provided me with the relief I needed. The recovery was smooth, and I can finally sleep through the night without frequent trips to the bathroom”.
• Mike’s Aquablation Journey: “Aquablation was a gamechanger for me. The minimally invasive procedure was quick, and I experienced minimal discomfort. My urinary symptoms have improved dramatically”.
Take Control of Your Health
Don’t let BPH control your life. Consult with your healthcare

provider to explore the best treatment options for you. With the right approach, you can manage your symptoms and enjoy a better quality of life.



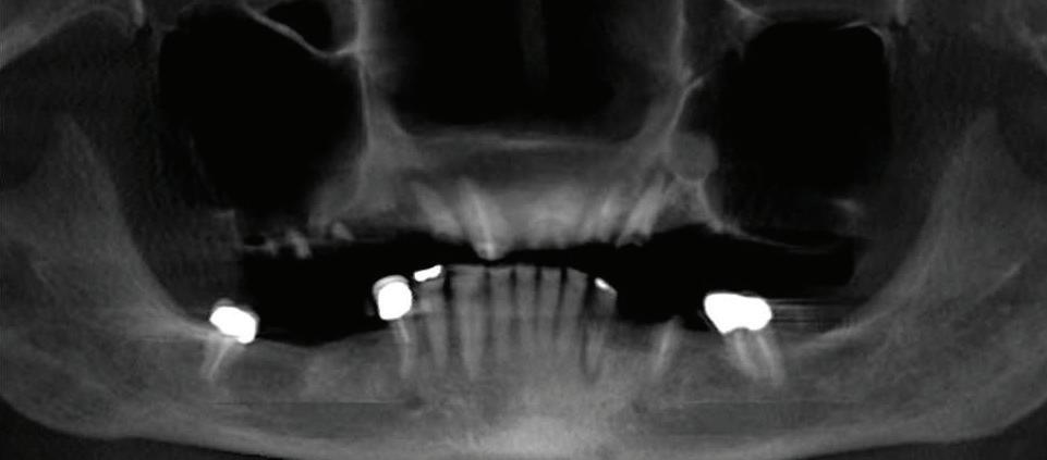
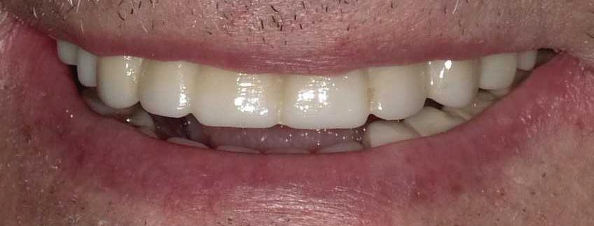
By Sivakumar Sreenivasan, DMD, MDS Dental Implant Center of Rockville
Can just four implants replace all of the teeth on the top or the bottom of your mouth? Thanks to advances in dental implant technology, that answer is a resounding yes.
Believe it or not, tooth loss is extremely common among adults, especially as we age. In fact, more than 35 million people in America are missing all of their upper and/or lower teeth. Rather than living with the discomfort and hassles of dentures, many people are opting for what is called “all-onfour” dental implant restoration.
All-On-Four: One Full Arch Of Teeth, Four Dental Implants
To fully understand this remark-
able technique for replacing teeth, you should first understand what a dental implant is. An implant is a small titanium screw that fits inside your jawbone and replaces the root-part of a missing tooth. Minor surgery is required to insert the implants. Once the implant is in place, a crown is attached to give you a highly realistic-looking and functional prosthetic tooth.
Here’s where it gets really interesting: You do not need a dental implant for each and every one of your missing teeth. All you need is four precisely placed implants on the top of your mouth, and four on the bottom, to restore your full smile. That’s the beauty of the all-on-four. And because the implant is made of titanium, it has the unique ability to fuse to living bone and function as part of it. So eventually, the dental implant becomes part of the jawbone and serves as a strong, long-lasting foundation for your new teeth.
Besides ensuring that your implants are permanently fixed in place,


this bone fusion has another important benefit: it prevents future bone loss in the jaw. This helps to maintain a more youthful facial structure – and better oral health. But perhaps the biggest surprise about the all-on-four is how quickly it can transform your life.
What’s The All-On-Four Dental Implant Procedure Like?
It can be scary to get implants for the first time. Most of that fear is probably due to the uncertainty, so here is the step-by-step process for getting an All-On-Four dental implant.
First, your dentist will want to make sure your comfortable, so either local or general anesthesia will be administered.
Second, the dentist or surgeon will prepare your mouth for the implants, which involves removing your remaining teeth that are failing. They will then remove any diseased or infected tissue from your jaw and gums.


Missing Teeth or Tired of
Thanks to advances in dental implant technology, just four implants can replace all of the teeth on the top or the bottom of your mouth.

After the implants have been placed, they will thoroughly clean the surgical sites and suturing all the incisions. Then you’ll be taken to a recovery room where you can relax and take time to wake up from the anesthesia.
How Do You Know If The All-On-Four Procedure Is The Right Option For You?
At your All-On-Four consultation, you’ll receive a 3D CT Scan. This scan will help determine if you need implants and assist your doctors in creating your treatment plan. So if you want to learn more about dental implants, simply schedule a consultation with an All-On-Four provider. It’s the best way to find out how dental implants can change your life.
Next, they will begin the implantation process. This means they will insert the titanium screws into your jawbone. Most likely, they will place two implants toward the front of your mouth and two towards the back of your mouth so the “anchors” can evenly bare the force of the denture.


By Swathi Reddy, DMD
Smiles Orthodontics
Orthodontic treatments can be done in a single full-length treatment or broken into two separate treatment phases, with a resting period between the two.
Two-phase treatment is comprised of two separate times when a child receives orthodontic treatment. The first phase is done when a child is still growing and has most of their
baby teeth. The second phase takes place when all of the permanent teeth have erupted.
The first phase of treatment is done around the age of 7-10 years. This is usually when all four of the permanent first molars and incisors have erupted. Children sometimes exhibit signs of jaw problems as they grow and develop. The goal of the first phase is to take advantage of the early growth spurts. This will help develop the jaw growth to gain space for permanent teeth, and to relate the upper and lower jaws to each other.
The first phase of treatment may use growth modification devices such as an expander, habit appliances (to stop thumb or finger sucking) or functional appliances (to reduce overbite). Braces may or may not be used during this phase of treatment. Phase one usually lasts from 6-18 months. Early
Please see “Orthodontics,” page 38

By
Horowitz, DPM
You worry about your children’s teeth, eyes, and other parts of the body. But what do you do about your child’s feet – those still-developing feet which have to carry the entire weight of the body through a lifetime?
Many adult foot ailments have their origins in childhood and are present at birth. Periodic professional attention and regular foot care can minimize these problems in later life. Neglecting foot health invites problems in other parts of the body,
such as the legs and back. There can also be undesirable personality effects.
A child with troublesome feet walks awkwardly and usually has poor posture.
As a result, the child may become shy and introverted, avoid athletics and social functions. Consulting with a podiatrist, pediatrician and other medical specialists can help resolve these related problems.
Your Baby’s Feet
The human foot – one of the most complicated parts of the body – has 26 bones, and is laced with ligaments, muscles, blood vessels and nerves. Because the feet of young children are soft and pliable, abnormal pressure can easily cause deformities.
A child’s feet grow rapidly during the first year, reaching almost half their adult foot size. This is why foot specialists consider the first year to be the most important in the development of the feet.
Here are some suggestions to
Please see “Children’s Feet,” page 38



• Manage
with diet
• Eat optimally during pregnancy
• Prevent cancer with diet
• Lose weight and keep it off
• Better control your eating behavior
• Know which healthy foods you should eat
• Control your blood pressure
• Improve your health overall
• Manage your blood sugar
• Lower


A neck lift can be performed for men and women of varying ages who are often frustrated by changes of the appearance of their neck and jawline. Depending on your age, a neck lift can be a short one-hour procedure to remove fat or a 3-hour procedure to remove fat, visible neck bands, and excess skin.
Remove Excess Skin (Cervicoplasty) • Liposuction to Remove Excess Fat
Remove or Alter Neck Muscles (Platysmaplasty)
Liposuction can be performed alone or with surgical removal of the fat under the chin through a small incision under the chin.
In patients with vertical bands in the neck, a platysmaplasty can be performed to reduce the appearance of the bands.
Sometimes a chin implant is recommended to improve the overall contour and help with excess skin.

























By Ali Ghatri, DDS Let’s Smile Dental
Losing a tooth can significantly impact both oral health and self-confidence. Fortunately, dental implants offer a reliable solution for restoring missing teeth, but the process requires thoughtful preparation. The first step is a comprehensive dental evaluation. A qualified dentist will assess the health of the gums, jawbone, and surrounding teeth. This assessment may include X-rays, 3D imaging, and a review of the patient’s medical history to determine whether they are a suitable candidate for implants.
Before proceeding, it’s essential to address any existing dental issues, such as gum disease or tooth decay. Healthy gums and sufficient bone structure are critical for implant success. In cases where bone loss is present, the dentist may discuss potential bone grafting procedures to provide a stable foundation for the implant. Additionally, patients with uncontrolled diabetes, heavy smokers, or those with autoimmune conditions may require specialized care to minimize potential complications.
Equally important is selecting the right dental team. Patients should look for a dentist, periodontist, oral surgeon, and potentially an orthodontist with extensive experience in implant cases. Many people seeking implants have teeth that have shifted due to the missing tooth, which can impact both appearance and function. In such cases, orthodontic treatment may be needed before implant placement to properly align the teeth and create sufficient space. It’s critical to understand that implants do not move with orthodontic forces once placed, making pre-implant alignment essential in some cases.
This makes collaboration between the general dentist, oral surgeon, and orthodontist a key component of successful implant outcomes.
A well-coordinated treatment plan that addresses overall function, alignment, and aesthetics ensures that the implant not only restores the missing tooth but also integrates harmoniously with the rest of the smile.
Financial planning is another crucial part of the process. Dental implants are typically more expensive than other tooth replacement options, but they offer unmatched long-term
durability and performance. Patients should inquire about the total cost, which may include diagnostic imaging, preparatory procedures, implant placement, and the final restoration. Some dental offices offer financing plans to make treatment more manageable.
In summary, patients considering dental implants should begin with a comprehensive consultation, ensure
their oral health is in good standing, and seek out experienced providers who will collaborate to create a customized plan. This article is the first in a four-part series on dental implants. In upcoming issues, we’ll explore the specific roles of each dental professional, walk through the steps of implant placement and restoration, and provide guidance on long-term care and protection for your implant and surrounding teeth.

means better

Discover a world of comprehensive dental care at Let’s Smile Dental, your trusted destination for superior oral health in Northern Virginia. With nine conveniently located offices, our skilled team of professionals is dedicated to providing a spectrum of specialized services, all under one roof.
At Let’s Smile Dental, our providers share a common mission: delivering the highest quality care to our valued patients. Through seamless collaboration and a patient-centric approach, our doctors ensure a positive experience and ultimate smile satisfaction. Choose Let’s Smile Dental – where your smile is our priority!






By Gary Feldman, DPM, FACFAS The Center For Advanced Orthopaedics
The Achilles tendon – the largest and strongest tendon in the human body – plays a critical role in walking, running, and jumping. But despite its strength, it’s also one of the most frequently injured tendons, particularly in active adults and weekend athletes. Understanding how these injuries occur, how they’re treated, and when
to seek help can make a significant difference in recovery and long-term mobility.
Achilles tendon injuries typically fall into two categories: tendonitis and tears or ruptures. Tendonitis is an overuse injury caused by repetitive stress, often from sudden increases in activity, improper footwear, or poor biomechanics. It usually begins with pain or stiffness in the back of the heel, especially during or after activity. Left untreated, it can progress and weaken the tendon over time.
A more severe injury – a partial or complete rupture – can occur suddenly, often during a forceful movement like pushing off to run or jump. Patients may feel a sharp pain or hear a popping sound, followed by difficulty walking or bearing weight. A complete rupture typically results in a noticeable gap above the heel and
Please see “Achilles Tendon,” page 39


a child’s health and development, impacting facial features, jaw development, and overall growth. Mouth breathing can set off a chain reaction of issues, altering the growth of the lower and upper jaws, midface, and nasal bones, ultimately affecting the child’s facial balance.
Pediatric Sleep-Related Breathing Disorders (SRBD) and OSA Symptoms
Children with SRDB may present a range of symptoms, including:
• Difficulty falling or staying asleep
• Sleepwalking, night terrors, and other parasomnias
• Excessive daytime sleepiness
• Mouth breathing, dry lips, bad breath
• Dark circles under the eyes
• Tonsil and adenoid problems
• Snoring
• Teeth grinding
• Bed-wetting
• Inner ear infections
• Limited tongue/lip mobility
• Hyperactivity
• Difficulty concentrating
• Selective eating habits
• Bedwetting
In the case of pediatric OSA, symptoms may involve snoring, breath-
From page 14
ing pauses, restlessness, and coughing or choking episodes during sleep.
Contrary to conventional belief, pediatric dentists with specialized training are well-equipped to address symptoms related to sleep and airway conditions. The airway, mode of breathing, and malocclusion are closely interconnected and should be addressed early and holistically by dentists. Advanced technology, such as cone beam 3D imaging, allows dentists to effectively diagnose airway issues and guide proper growth and development. Early intervention is essential in guiding proper growth and development.
Convenient at-home sleep study tests are now available to diagnose pediatric sleep apnea and breathing issues. These tests provide comprehensive, accurate data for proper diagnoses.
Treatment goals encompass the elimination of detrimental habits, guiding optimal cranial, jaw, and facial development, preventing dental misalignment, and enhancing airway health and oxygen sufficiency. Various therapies, including oral appliances, myofunctional therapy and positive airway pressure therapy, can effectively alleviate symptoms.


By Yemi Adesanya-Famuyiwa, MD Montgomery Fertility Center
It is quite remarkable that caregivers need care and loving compassion. While the rate of infertility is oft quoted as one in eight women; many are unaware that infertility affects one in four female doctors. Among female doctors, female doctors in surgical specialties have an even higher rate of infertility. What is further intriguing is that among female surgeons, those
in the otolaryngology specialty were found in a recent study to have the highest rate of infertility in comparison to general surgery and orthopedics.
Factors that contribute to this finding include the fact that female doctors are graduating from medical school around their peak fertility period. They matriculate into residency training that can last anywhere from one to six years. Should they choose to sub specialize they may tag on additional years of training. It is not just the length of training that is involved. Training, especially in surgical fields can involve long work hours. Orthopedic and trauma residents and fellows may have long overnight hours in the operating room. Think 12 plus hours per week of operating time.
Female physicians end up utilizing fertility services at an increasing rate. For comparison, while 11% of woman in the general population may
Please see “Egg Freezing,” page 38

Our mission is to assist our patients in creating the families of their dreams, whether it be at the present or to maintain the possibility in the future.
Medical Director Dr. Famuyiwa, a double board certified fertility specialist and an advocate for personalized holistic fertility care, is at the forefront of providing state-of-the-art care based on emerging and advanced new technologies in the most compassionate of manners.

By Jonathan Johnson, MD Capital Surgical Center
achieving the sculpted body you desire. Unlike traditional liposuction, which focuses on specific areas, 360 liposuction provides a comprehensive, full-body contouring approach to enhance your natural shape from every angle.
What Is 360 Liposuction?
360 liposuction, also known as Lipo 360, is an advanced body
contouring procedure that targets multiple areas of the midsection, including the:
• Abdomen
• Flanks (love handles)
• Lower back
• Upper back
• Waistline
By addressing fat deposits

around the entire torso, this technique creates a more balanced, 360-degree transformation, enhancing the natural curves of the body.
How Does 360 Liposuction Work?
The procedure uses advanced liposuction techniques to gently remove excess fat while sculpting a smoother, more contoured appearance. Depending on your needs, your provider may use:
• Tumescent liposuction (a minimally invasive approach using local anesthesia)
• Laser-assisted liposuction (to help tighten the skin)
• Power-assisted liposuction (for more precise fat removal)
Since 360 liposuction treats multiple areas at once, it creates a dramatic yet natural-looking transformation.
Who Is a Good Candidate For 360 Liposuction?
Ideal candidates for 360 liposuction include individuals who:
• Have stubborn fat deposits that don’t respond to diet and exercise
• Are close to their ideal weight but want better definition
• Have good skin elasticity to ensure smooth contouring
• Want a more sculpted waistline, flatter stomach, and toned back It is not a weight-loss procedure but rather a body sculpting method for those seeking enhanced curves and definition.
Recovery from 360 liposuction is typically quicker than traditional liposuction because modern techniques are less invasive. Patients can expect:
• Mild swelling and bruising for the first few weeks
• Compression garments to help shape the body and reduce swelling
• Visible results within a few weeks, with final results appearing after 3-6 months
Most patients return to work within a week, depending on the extent of the procedure.

Your Health Magazine is here to Help People Find the Healthcare They Need! Information from local doctors lowers the barriers to getting better healthcare and living
We publish articles and practice information for local doctors every month in the Magazine, on our Website, (www.Your Health Magazine.net), and on Social Media (@YourHealthDMV).
OB/GYN Cardiology
Dermatology
Varicose










Doctor of Chinese Medicine and Acupuncture/Eastern Medicine Modalities of Natural Healing
Dr. Angel is a Traditional Naturopath, offering virtual natural wholistic wellness support.
Board Certified Natural Health Practitioner, Voice BioAnalysis - Let your voice tell you what your body knows. Degrees, Training and Certificates: Doctor of Acupuncture and Chinese Medicine, Pacific College of Oriental Medicine. Graduated from the University of Maryland Medical School in Bio-Genetics Engineering/Medical Research Technology. Holds a Masters Degree in Acupuncture and a 2nd Masters Degree in Oriental Medicine and Chinese Herbs. A graduate of Tai Sophia Institute of Natural Healing. Board Certified Natural Health Practitioner.
Conditions Treated By Dr. Wood: Specialize in Natural Gut Health, building the immune system through rebalancing the intestinal tract. Pain management, fertility, female medical conditions (fibroids, painful menstrual cramps, etc.), male medical conditions, impotence, high blood pressure, diabetes, high cholesterol, vertigo, stroke, assist cancer patients, stress management, preventative medicine, weight management, nutrition, foot & heel pain, many more medical conditions. For more information see my website and the World Health Organization. Most major health insurances accepted.
Speciality: Chinese Medicine gut wellness, offering colonics and other treatments. You will receive individualized and expert care in all gut-related issues.
Natural Healing–Also offering colorpuncture, reflexology, acupressure and Chinese Herbal consult. Facial rejuvenation & cosmetic makeup. Also offering Light Therapy & Sound Therapy. Call me for details. Treat all ages – elderly, infants, children and adults
Mission Statement: There are many parts to the human body, not just physical. The human body consists of the physical part, the mental part, and the soul part. The body can not and will not heal properly if the whole person is not receiving balance. All areas of the person’s body must be addressed for overall healing to take form naturally. My training, skills and expertise in Western and Eastern medicine will offer you a unique approach in Mind, Body and Soul Healing.

Call for • A 5-Element Constitutional Diagnosis to heal many areas of your life.
Ask Dr. Crowley about her Weight Loss Program and GLP-1 Support
Anne is committed to healing so that her patients feel a lasting sense of well being. She is skilled in pain relief, calming mental anxieties, and assisting patients in making lasting life changes. Her sincere commitment is to bring her patients a sense of deep peace in their lives, and in turn, pave the way for more joy and vitality.
Anne does this through practicing 5 Element Acupuncture, the Balance Method, Chinese Herbology, and Health and Life Coaching. She continues to attend workshops to expand on these Asian healing arts. Anne also brings Colorpuncture, Light Therapy, Chinese Herbal Medicine, and Nutritional remedies into her treatment plan. She is committed to teaching patients how to maximize their health at home, work and in every aspect of their lives.

Anne offers on line coaching to bring about any of her healing methods. She has expertise in women’s health, fertility, and weight loss, including support
Anne offers a weight loss program designed to help clients from the inside out. She specializes in assisting people during and after their GLP-1 journey.




Mabir R. Sugatan was born in Barranquilla, Colombia with an innate ability for beauty and glamor. She inherited her talents, as both parents were in the industry and introduced her to the field at a young age. After finishing her studies in fashion design, she turned her focus towards aesthetics, where she completed studies at the International School of European Aesthetics in 1995. An industry leader in the field of Aesthetics, and an International Master Medical Aesthetician & Licensed Aesthetic Educator, Mabir has, for the past 30 years, trained Doctors, Nurses, and Estheticians within the non-invasive cosmetic industry.
Ever since we first opened the doors to Healthydermis, Mabir and her team of experts have been privileged to guide thousands of patients, including Miss. Virginia and Miss Delaware, towards achieving incredible cosmetic results. Our dedicated team of experts are always here to help you reach your aesthetic dreams and will always be more than happy to assist you in any possible way.

Jonathan Johnson, MD, MBA, CWSP
Capital Surgical Center – Comprehensive Wound Care Services
Dr. Jonathan Johnson, MD, MBA, CWSP, is a Board Certified Plastic Surgeon and Wound Care Specialist with over 20 years of experience. He is the founder of Capital Surgical Center and Comprehensive Wound Care Services in Washington, DC, where he blends advanced surgical skills with a strong focus on patient-centered care.
Capital Surgical Center Suite #802 Call: 202-861-2252
Comprehensive Wound Care Services Suite #804 Call: 202-861-2971
CapitalSurgicalCenter.com CWSWounds.com


Certified by the American Board of Wound Management and the American Academy of Aesthetic Medicine, Dr. Johnson trained as a Sylvester J. Carter Fellow in hand and plastic surgery at Lincoln Medical and Mental Health Center. He is widely recognized for his work in both wound healing and aesthetic medicine, frequently speaking at national conferences to share his expertise. Through Comprehensive Wound Care Services, he provides compassionate care for chronic wounds, especially in nursing homes across Washington, DC, Georgetown, and Foggy Bottom. At Capital Surgical Center, his aesthetic practice focuses on cosmetic procedures that enhance natural beauty and restore confidence.
Dr. Johnson holds an MBA in healthcare finance from Johns Hopkins University’s Carey Business School and is a member of the Maryland Society of Physician Entrepreneurs. He also serves on the board of the Capital Youth Empowerment Program, a nonprofit supporting inner-city youth.
Dr. Alexander brings a unique blend of military precision, academic excellence, and compassionate care to his practice. His mission is to help patients regain their hearing, confidence, and independence—so they can fully engage with the world around them.
Dr. Alexander’s life and career have been defined by a passion for service—whether serving the country, the community, or his patients. Upon graduation from Loyola University Maryland in 2002, Dr. Alexander served in the US Army for 9 years on Active Duty as a Blackhawk helicopter pilot.
Driven to continue serving others, Dr. Alexander transitioned to the Army Reserves to pursue his calling as an audiologist. He earned his Doctorate in Audiology from The University of South Dakota in 2015 and has since become a licensed audiologist with extensive experience treating patients of all ages. 8218 Wisconsin Avenue


Dr. Trent has a passion for helping people. She has practiced Audiology since 1984, in a number of clinical settings. Her diverse career has included 16 years of teaching and clinical supervision at Howard University, Washington, DC and Temple University, Philadelphia, PA. Dr. Trent has also worked as a clinical audiologist in hospital settings and private ENT practices.
Education: Clinical Doctoral Degree – Audiology, University of Florida, Gainesville, FL
Master of Education – Audiology, Northeastern University, Boston, MA
Bachelor of Science – Communication Sciences and Disorders, Hampton University, Hampton, VA
Dr. Trent holds her Maryland State Licensure in Audiology. She is a Certified Clinical Audiologist (CCC-A) through the American SpeechLanguage-Hearing Association (ASHA). Presently, she serves on the Board of Directors for ASHA as Vice President for Audiology Practice.



19529 Doctors Drive Germantown, MD
4701 Randolph Road
Suite #203, Rockville, MD
10215 Fernwood Road
Suite #102, Bethesda, MD
301-681-6437
ColonRectalDocs.com


After completing his fellowship in Colon and Rectal Surgery at the prestigious Robert Wood Johnson University Hospital-Rutgers University, Rami Makhoul, MD, joined Holy Cross Hospital in 2014 to serve patients in the DC Metropolitan area. In January 2018, he joined Metro Colon and Rectal Surgery, PC.
Upon graduating from medical school, Dr. Makhoul first completed his Internship in General Surgery at the University of Massachusetts Medical School. He then completed his Residency training in General Surgery at the George Washington University Hospital in Washington, DC.
During his Residency training at GW, Dr. Makhoul spent a year in clinical research where he published much of his work in colon and rectal cancer, and the use of Robotic Surgery in various abdominal procedures. He continued with his passion for research and published peer-reviewed articles during his Fellowship training. Several of his works were presented at national conferences including the American Society of Colon and Rectal Surgery, and the Society of American and Gastrointestinal and Endoscopic Surgeons annual conferences.
Dr. Makhoul diagnoses and treats various diseases of the colon, rectum, anus, and other parts of the GI tract using national standards and guidelines. He has a special interest in treating colon and rectal cancer using advanced surgical minimally invasive techniques including robotics, laparoscopy, transanal total mesorectal excision and transanal endoscopic microsurgery.
As part of his commitment to surgical training and education, Dr. Makhoul serves as a Clinical Instructor of Surgery at the George Washington University. Dr. Makhoul holds the position of Cancer Liaison Physician for Holy Cross Health, where he manages and oversees clinically related cancer activities in collaboration with the Commission on Cancer and American Cancer Society.
When he is away from the office, Dr. Makhoul may be found spending time with his family. He also enjoys skiing, running, scuba diving, tennis, and traveling.
Dr. Matthew Skancke is a Colon and Rectal Surgeon serving Maryland, Virginia and Washington, DC. Dr. Skancke grew up in Great Falls, VA earning his undergraduate degree in electrical and biomedical engineering at the University ofVirginia’s engineering school. After engineering school he spent three years working for a Swiss based GPS company U-blox America while going to night school to finish his pre-medical degree. He then attended medical school at the University of North Carolina at Chapel Hill where he did basic science research of mesenchymal stem cells to progress the field of regenerative medicine. Dr. Skancke continued his General Surgery training at the George Washington University Hospital and subsequently did his Colon and Rectal Surgery Fellowship at the Cleveland Clinic.
During his training, Dr. Skancke has published over 24 peer reviewed publications, authored three book chapters, and presented over 45 times at national conferences in medicine and surgery. He has participated in clinical trials of bench top and mechanical sciences and is a member of the American College of Surgeons and the American Society of Colon and Rectal Surgeons. Dr. Skancke is Board Certified in General Surgery by ABS and Colon and Rectal Surgery (ABCRS) and is an active member of the American Society of Colon and Rectal Surgeons Quality and Safety National committee.

Millennium Medical’s primary goal is to attend to the need of every patient. The practice has an extensive array of treatment options, including cosmetic surgery, Botox, fillers, laser treatments, and health and wellness.
As the founder of Millennium Medical, Dr. Rassael graduated from George Washington University in 1986 with a BS in chemistry and zoology and subsequently obtained his graduate degree in Physiology at Georgetown University. He obtained his Medical degree from the New York College of Osteopathic Medicine in 1994. Thereafter, he received two years of Surgical Training at Saint Agnes Hospital which included two months of cosmetic surgery training at the world-renowned Johns Hopkins Burn Center in Baltimore, MD.

During this training, he had the opportunity to learn the surgical skills necessary to perform body and facial surgery. He continued his training at AFIP/Walter Reed Medical Center in Washington, DC, where he completed his Otolaryngology and Endocrine Pathology Fellowship in 1998. Due to his passion for cosmetic surgery, Dr. Rassael has continued to fine tune his surgical techniques, including the art of facial and body contouring surgery. His training alongside many renowned surgeons has made him an exceptional cosmetic surgeon.
His practice also continues to strive to offer the latest technological services in the field of cosmetic surgery. His training alongside many renowned surgeons as well as his years of experience, makes him an exceptional cosmetic surgeon.

Rex Hoang, DMD, PC, has been the president of his family-run business, DC Dental Spa, in Washington, D.C. for over 28 years, and gets great satisfaction from helping his patients achieve beautiful, healthy smiles. Dr. Rex has extensive training and experience in general dentistry, periodontology, endodontology, oral surgery, dental implants, sleep apnea and cosmetic dentistry.

ColonRectalDocs.com

Outside of work, Dr. Skancke has found a new love for French cooking and North Carolina barbeque. To offset these vices, Dr. Skancke also enjoys running and powerlifting in his free time.
Dr. Stephen Price has been a dedicated practitioner at Dental Associates for nearly five decades, relishing the diverse challenges of general practice, including dental implants and cosmetic dentistry. He is an esteemed member of the American Dental Association, the Northern Virginia Dental Society, and the Virginia Dental Society.
A native of New Jersey, Dr. Price attended the University of Connecticut on a football scholarship. He earned his Doctorate of Dental Surgery from Georgetown University School of Dentistry in 1973, subsequently serving as a crown and bridge instructor there for 17 years.

Dr. Price is an Elite Invisalign® provider and a Certified Invisalign® instructor. In 2017, he was honored as the best treatment winner at the Invisalign® Summit in Maryland, recognized by thousands of his peers who gathered to learn about the latest technologies in Invisalign treatment.
Combining his passion for dentistry and football, Dr. Price has also contributed to his community by coaching the football team at Westfield High School.
If you are unhappy with your smile and are interested in the finest cosmetic dentistry available, let Cosmetic Dental Associates of Burke show you what our office can do to make you feel better about yourself and put a smile on your face every day.

Dr. Rex earned his title of Doctor of Medicine in Dentistry from The University of Pennsylvania School of Dental Medicine in 1990, and to stay up-to-date in the latest dental practices and technologies, Dr. Rex regularly attends continuing education courses. Recently, his continuing education took him to the Dominican Republic, where he provided dental implants to disadvantaged community members.
He believes in delivering the very best care for his patients’ needs while being sensitive to their comfort levels and concerns, and a love for dentistry runs in the Hoang family. Of his five children, two have joined him in the field of dentistry. Dr. Rex’s son Dylan is currently pursuing dentistry in school, and Dr. Rex is looking forward to him joining the practice upon graduation.
Outside of dentistry, Dr. Rex has many interests and hobbies, including piano and guitar. He also stays active playing golf, tennis and practicing martial arts.
Degrees, Training & Certifications: Dr. Zina Alathari graduated from Tufts University School of Dental Medicine in 1994. In addition to her general dentistry training, Dr. Alathari takes continuing education each year in advanced clinical procedures and technologies - concentrating on cosmetic dentistry, teeth reconstruction, and pain relief. Her wide range of service to the public has given her experience to understand each patient’s individual needs.
Services: Cleanings & Exams, Dental Implant Restorations, Dentures & Partials, Teeth Whitening, Tooth Colored Fillings, Gum Therapy, Cosmetic Veneers, Cerec® One Day Crowns, and more!
Practice Philosophy: In our office you will experience all that modern dentistry has to offer, including a comprehensive list of general, restorative and cosmetic dental services to meet the needs of the whole family. Our goal is to assist each patient in achieving and maintaining long term dental health and a beautiful smile. "As always, everything was done in a very professional manner. Staff is always friendly and conscientious. Office and treatment areas are orderly and spotless. I have been coming here for years and can’t fathom going anywhere else for my dental needs."
– Jim R., Leesburg, VA, Designer


•

Dr. Lans has been voted one of Northern Virginia’s Top Dentists by both patient and peer surveys!

44110 Ashburn Shopping Plaza, Suite #166 Ashburn, VA 703-729-1482
LansFamilyDentistry.com




Dr. Ghassan Jacklis and his dedicated team want you to feel comfortable in our office, and to know that when you come here, you will receive outstanding dental care and personalized service. Our associates have been working together for years, with many years of advanced training, which has allowed us to perfect our communication and better serve you.


Dr. Afreen Sayeed graduated from University of Texas, School of Dentistry at Houston. She also attended St. John’s University in New York where she focused not only on the sciences but studied and developed a deep interest in Ethics and Philosophy. With several years of dental experience working with all age groups, Dr. Sayeed strives to build trusting and genuine relationships with each patient and is committed to

expectations. Dr. Sayeed believes that preventative care and education are the keys to optimal dental health. She offers a full range of dental services tailored to meet your dental needs, and maintains a focus on practicing conservative dentistry for better oral health whenever possible. Conservative dentistry means she would rather prevent a cavity with an emphasis on regular dental visits, placement of sealants, maintaining proper oral hygiene and educating her patients.
With Dr. Sayeed’s extensive experience in pediatric and adolescent dentistry, now all her patients can also benefit from and take advantage of her refined, gentle dentistry!
Degrees & Training: Dr. Lans has been providing outstanding dental services to the Northern Virginia area since 1978. He earned his Bachelor of Science in Biology from Queens College of the City University of New York in 1973 before going on to earn his Doctor of Dental Surgery degree from Howard University in 1977.
Professional Memberships: Dr. Lans maintains active membership in numerous prestigious professional organizations such as the Academy of General Dentistry, the Virginia Academy of General Dentistry, the American Academy of Cosmetic Dentistry, the Academy of Sports Dentistry and the Crown Council, an alliance of leading-edge dental teams throughout North America. We have the latest technology in the industry through digital scanning. Also, we are a one stop shop offering multiple specialties like general dentistry, orthodontics, endodontics and oral surgery. All in one location for the convenience of you and your family.
Practice Philosophy: Dr. Ike Lans is accepting new patients, and he is committed to doing everything possible to provide you with high quality, state-of-the-art dental care. Our goal is to make your visit to our office as pleasant and as comfortable as possible.
Michael Rogers, DDS, is pleased to be able to offer beautiful smiles to his neighbors in Arlington and the surrounding communities.
Dr. Rogers earned his dental degree from UCLA after graduating cum laude from Harvard University. Prior to entering private practice, he served a general practice residency at Sepulveda Veteran’s Hospital. Dr. Rogers has invested significant time into ongoing education, seeking to learn emerging dental technologies and techniques in the areas of cosmetic dentistry, implant dentistry, sleep apnea treatment, orthodontics, temporomandibular joint (TMJ) disorders, and safe amalgam replacement. His most recent training in airway management has allowed him to offer a cure for sleep apnea using an intraoral device known as the DNA appliance. He is a member of the International Academy of Oral Medicine and Toxicology, American Academy of Dental Sleep Medicine, American Academy of Craniofacial Pain, and also of Mercury-Free Dentists. He has served as a guest author for TMJ News & Views, and when that publication ceased, began his own quarterly newsletter. You may have seen one of his television interviews on “A New Me” or the local PBS station, or seen his articles and features in Ladies’ Home Journal, Arlington Magazine, and New Beauty.
Dr. Rogers is an active participant in the community as a sponsor for Encore Theater, Little League of Alexandria, Abingdon Elementary, and the local Fairlington Farmer’s Market. He and his wife Terri enjoy spending time with their daughter Megan and her husband Corey traveling around the country and the Caribbean.


Ancient Intuitive Energy Healer, Certified Yoga Instructor and Teacher. Bonnie has been in the healing arts from a very young age, starting with her family as a caregiver and coach. She mentored her family and friends before she ever knew what energy work was, she was providing natural healing at a very young age for her pets and family members. Through hard times and emotional times Bonnie has served as a vessel to all who needed her loving healing energy.
At a young age Bonnie’s love of dance, music, cooking and all the healing arts sparked her curiosity to learn all she could in this area. This curiosity opened many doors for her as her journey introduced her to Reiki, various meditation techniques including Tai Chi, Acupressure, Aromatherapy, Sound Bath Vibration, meditation, and various different types of Yoga including Korean, Kundalini, Yen, Hatha, and Restorative.
Through the art of healing herself and others Bonnie has developed her own technique called YORIQI. This is a combination of specific yoga poses combined with reiki healing energy to balance your Qi energy. This technique is proprietary to Beyond Bonnie’s Hands. Bonnie holds many certifications in various yoga and healing modalities with over a 1000 hours in training and workshops since 1981.
Holistic Energy Facilitator, YORIQI Creator & Instructor, Reiki Master, Animal Reiki, Intuitive Message, Medical Intuitive, Acupressure Practitioner, Aromatherapy Practitioner, and Sound Healing Practitioner: Tuning Fork Therapy, Crystal Singing Bowls, Gongs, and Drumming.


Maryland Orthopedic Specialists
Dr. Feldman is a Board-Certified Foot and Ankle Podiatrist by ABFAS in advanced surgical training from St. Agnes Medical Center in Philadelphia.
A University of Maryland and Pennsylvania College of Podiatric Medicine graduate, he specializes in diabetic limb salvage, pediatric disorders, foot and ankle reconstruction, and advanced procedures such as PRP therapy, ultrasound-guided treatments, and total ankle replacement surgery.
With over 28 years in private practice, Dr. Feldman has a strong interest in sports medicine. He’s served as team physician for high school teams, DC United, and GWU athletics, and was a part-time editor for The Physician and Sports Medicine journal.
He is a partner at Maryland Orthopaedic Specialists and is on staff at Shady Grove Adventist Hospital and Chevy Chase Surgical Center. Dr. Feldman also trains residents through the MedSTAR/Georgetown University system. A Montgomery County native, he enjoys running, cycling, and family time— and is a lifelong fan of the Washington Capitals and Commanders.


Degrees, Training, and Certificates: Doctor of Dental Surgery (DDS)
– Howard University College of Dentistry; 2 Year General Practice Residency; Chief Resident – Harlem Hospital Center (Affiliate of Columbia University)
Professional Memberships/Associations: National Dental Association
Areas of Interest: Root Canal Therapy, Implants, Crown and Bridge, and Cosmetic Bonding
Hobbies: Motorcycling, boating and spending time with family and friends.
Additional: The vast majority of the general public do not understand that some diseases first manifest in the mouth. That’s why patient information is so crucial. Stressing the importance of healthy teeth and gums through regular recall visits is a good start.
Practice Philosophy: Your smile is very important. It is my mission to give my patients the smile they desire through education, dedication and a gentle touch.

For over 18 years, Padmaja Yalamanchili, DDS, has been serving patients throughout Northern Virginia with her extensive dental expertise, personalized one-on-one care and state-of-the-art dental technology. She and the entire team at her practice Dr. Padmaja Yalamanchili, DDS, PC in Fairfax, VA are committed to helping patients achieve their healthiest, most beautiful smiles. She is well-reputed in the area, and she emphasizes on preventive dentistry.
Dr. Yalamanchili graduated with her Doctor of Dental Surgery degree from the New York University College of Dentistry in Kips Bay, Manhattan. This prestigious New York City institution is the third oldest dental college in the country and is a global leader in top-tier dental care and innovation.
After earning her degree, Dr. Yalamanchili committed herself to serving patients throughout Northern Virginia with her clinical expertise and personalized care. She offers each patient her extensive knowledge and takes the time to customize a care plan to their specific oral health needs and smile goals. She serves patients of all ages through this tailored oneon-one approach. In fact, the rapport she builds with each patient leaves many fondly referring to her as “Dr. Y.”
Dr. Yalamanchili is a member of the American Dental Association, Virginia Dental Association, and Northern Virginia Dental Society.
Dr. Yalamanchili is fluent in English, Hindi, and Telugu. When she’s not serving patients, you can find her spending time with her husband and two children, cooking, reading, watching a Bollywood movie, or practicing Bikram yoga.

Rachel Allen is the President of the nonprofit Natural Beauty Hair Designers Professional Training Center, Inc. and has been the owner of Natural Beauty Hair Salon since 1992, dedicating over three decades to improving lives through education, mentorship, and community support. Under her leadership, the nonprofit organization has become a cornerstone for community outreach and workforce training in Maryland and the Washington Metropolitan Area.
Natural Beauty Hair Designers Professional Training Center provides vital services, including educational programs, workforce development, and mentoring for disadvantaged, foster care, and adoptive youth. Focused on empowering individuals interested in the hair care industry, Rachel’s organization equips participants with the skills and confidence needed to build successful careers.
Rachel is passionate about fostering opportunities for underserved populations and creating pathways to independence and success. Through her unwavering commitment, the Training Center continues to transform lives, enhancing the quality of life for residents in Maryland and beyond. Her dedication has made her a true leader in community development. She was appointed to the Maryland State Board of Cosmetology in 2016 by Governor Larry Hogan serving a six year term, served as an executive director and board member for National Interstate


Laura Deter, Certified Healthy Habits Coach Compassion Circle Coaching
I broke up with alcohol about 5 years ago. Since then, I’ve come to see addiction as just another habit that’s gotten out of control.
HUH? I’m not a psychotherapist, but I’ve learned a lot about how our brains work. Alcohol and anything else that gives artificially high dopamine levels train our brains to want more and more to feel satisfied. It’s the same mechanism for heroin, porn— even our phones or sugar. So much of society is about “selling” instant gratification. My first attempt at freedom from alcohol was the traditional path. I felt powerless and used willpower alone to abstain. It wasn’t sustainable. I felt broken and helpless. So I wallowed. Ugh.
When I learned about alcohol’s addictive nature and how dopamine works, I found tools that worked with my brain. I practiced curiosity and self-compassion. I counted the percentage of alcohol-free days instead of starting over each time I drank. It got easier to go longer without alcohol.
My first post-Covid social event was a football game at a bar. I was triggered more by the crowd than the drinking. WOW! I ordered a mocktail and had a great time. My alcohol-free life is SO much better than I imagined. I’ve embraced myself fully. My imperfections are what make me human. I’m amazing just as I am—and I’m learning and growing every day.
FREEDOM IS POSSIBLE FOR YOU TOO. LET’S TALK!

Founder and Director Of Chevy Chase Home Care Degrees and Training: PhD in Demography/Gerontology, MS in Economics
Certificates From: Georgetown University, American University and New York University
Professional Memberships and Associations: IUSSP – International Union for the Scientific Study of Population, National Council on Aging (US).
Areas of Interest: Traveling, Fitness, Camping, Health Nutrition, Reading and Exploring the Internet.
Family: Son – Co-Owner
CHCHhomecare@yahoo.com 202-374-1240 www.CHCHhomecare.com

Services: Live in/out, short, long, nights, 24/7. Help at home, nursing home or hospital.
We Bring Our Hearts To Your Place!
& Family Dentistry
Dr. Vikram Chauhan provides a patient-focused experience at a modern dental office in Vienna, VA, offering services like dental implants, Teeth-in-a-Day, crowns, veneers, and full-mouth reconstruction. Born in Fairfax, Virginia, Dr. Chauhan earned his Doctor of Medical Dentistry from Tufts University in 2018 and completed a general dentistry residency at Cabell Huntington Hospital through Marshall University.

He returned to Virginia and purchased his Vienna practice in 2022. Specializing in implant dentistry, he has completed over 500 hours of continuing education, including the 300-hour DC Maxicourse affiliated with the American Academy of Implant Dentistry.
Dr. Chauhan is also certified by the Virginia Dental Board to provide IV conscious sedation, a distinction held by few in the state. His practice uses advanced technology such as digital X-rays, cone beam scanners, intraoral cameras, and digital impressions to ensure the highest quality care and patient comfort.


Degrees, Training & Certifications: Dr. Hughes received his Bachelor of Science in Microbiology from the University of Maryland in College Park, MD. He graduated from Meharry Medical College School of Dentistry in Nashville, TN with a degree as a Doctor of Dental Surgery. His Post Doctorate Certificate in Oral Implantology is from Howard University of Dentistry in Washington, DC. Dr. Richard Hughes is a fellow of the American Academy of Implant Dentistry and the American Academy of Implant Prosthodontics, and Board Certified by the American Board of Oral Implantology/Implant Dentistry. He is also a reviewer for the Journal of Oral Implantology, and is on the surgical staff of INOVA Loudoun Hospital in Leesburg, VA. Dr. Hughes, with 21 years of experience in implant dentistry, is a national and international lecturer on numerous topics about implant dentistry, an implant surgical demonstrator and clinical investigator.
Special Interests: Dental Implants, Cosmetic Dentistry, Restorative Dentistry
Professional Memberships & Affiliations: Part One Test Construction Committee, American Board of Oral Implantology/Implant Dentistry; Oral Examiner, American Board of Oral Implantology/Implant Dentistry; Board of Directors, The American Academy of Implant Prosthodontics; Editorial Advisory Board, Journal of Implant and Advanced Clinical Dentistry; Infection Control Committee and Cancer Committee, INOVA Loudoun Hospital, Leesburg, VA; on the Board of Trustees of the American Academy of Implant Dentistry


46440 Benedict Drive
Suite #201, Sterling VA
703-444-1152
www.SterlingImplantDentist.com



11705 Berry Road Suite #303
Barley Professional Bldg. Waldorf, MD 301-843-9282
www.FransNuImage.com

Practice Philosophy: You'll love the personal attention we give to your comfort and appearance. And, you'll appreciate our use of the latest materials, modern treatment techniques and our pleasant relaxed environment.
Patient Testimonials: "Dr. Hughes is the Picasso with dental implant and cosmetic procedures.
Thank you for my new smile."
"Dr. Hughes, you gave me better health and a new bite out of life."
Fran’s Nu Image
Degrees, Training and Certificates: Bachelor of Science Degree, Health Planning and Administration, Penn State University.
Certified Fitter – Mastectomy, American Board for Certification in Orthotics, Prosthetics and Pedorthics, Inc.; Juzo Certified Fitter, Compression Garments; 30 years experience in the provision of medical equipment and supplies, management/sales/service.
Family: Husband, Chris and Son, Jimmy Hobbies: Sudoku and Reading.
Practice Philosophy: Customer care is our priority!
Fran’s Nu Image is a facility accredited by the American Board for Certification
Total Dental Care
Dr. Sreeni came to the United States as an Oral and Maxillofacial Surgeon from India in the year 1990 and put himself through dental school again at Boston University and an Oral and Maxillofacial Surgery Residency at the University of Medicine and Dentistry of New Jersey.
As an Oral and Maxillofacial Surgeon, Dr. Sreeni manages a wide variety of problems relating to the Mouth, Teeth and Facial Regions. He graduated from dental school in India in the year 1984. His passion is in implant surgery and he is well known for same day placement of implants following teeth removal, be it for single teeth or a complete “makeover” (Smile In a Day). He can also diagnose and treat Facial Pain, Facial Injuries and TMJ disorders and perform Bone Grafting and Sinus lift procedures.

Dr. Sreeni completed a Residency in Anesthesiology at Mount Sinai Hospital, NY in 1994 and has worked as an Attending, providing anesthesia services for children and adults in the ambulatory out-patient center at Mount Sinai Hospital.
Dr. Sreeni is an Advanced Cardiac Life Support instructor with the Adventist group. He is also certified in Pediatric advanced life support and is very capable of providing anesthesia for both adults and children in state of the art office settings with advanced monitoring for your safety. Dr. Sreeni’s staff are well trained in assisting with IV Sedation/General Anesthesia. The goal of our office is to provide professional service with compassion and an understanding of the patients’ perspective.
Dr. Sreeni came to the United States as an Oral and Maxillofacial Surgeon from India in the year 1990 and put himself through dental school again at Boston University and an Oral and Maxillofacial Surgery Residency at the University of Medicine and Dentistry of New Jersey.
As an Oral and Maxillofacial Surgeon, Dr. Sreeni manages a wide variety of problems relating to the Mouth, Teeth and Facial Regions. He graduated from dental school in India in the year 1984. His passion is in implant surgery and he is well known for same day placement of implants following teeth removal, be it for single teeth or a complete “makeover” (Smile In a Day). He can also diagnose and treat Facial Pain, Facial Injuries and TMJ disorders and perform Bone Grafting and Sinus lift procedures.
Dr. Sreeni completed a Residency in Anesthesiology at Mount Sinai Hospital, NY in 1994 and has worked as an Attending, providing anesthesia services for children and adults in the ambulatory out-patient center at Mount Sinai Hospital. Dr. Sreeni is an Advanced Cardiac Life Support instructor with the Adventist group. He is also certified in Pediatric advanced life support and is very capable of providing anesthesia for both adults and children in state of the art office settings with advanced monitoring for your safety. Dr. Sreeni’s staff are well trained in assisting with IV Sedation/General Anesthesia. The goal of our office is to provide professional service with compassion and an understanding of the patients’ perspective.


Dr. Namita K. Thapar-Dua (formerly known as Dr. Chaudhary) is a different kind of dentist. She takes time to listen to the patients (even with Alzheimer's) and provide them with the best care she can. Rather than rushing through dental visits, Dr. Thapar-Dua listens, talks, and serves her patients by investing in long-term relationships.
A Magna Cum Laude graduate of the University of Maryland’s prestigious Baltimore College of Dental Surgery, Dr. Thapar-Dua completed a general practice Residency with the Veteran’s Affairs Medical Center in Washington, DC. She is continually dedicated to advanced, postdoctoral study. Advanced training allows her to provide patients with a health-centered and aesthetically pleasing approach to family dental care.
Formerly, Dr. Thapar-Dua co-owned The Mobile Dentist, which serviced more than 50 senior living communities throughout Maryland and the DC area. Having spent a large portion of her career focusing on the special needs of senior patients, Dr. Thapar-Dua’s experience in geriatric dental care is profound. To go beyond mobile dentistry, Dr. Thapar-Dua introduced SENIOR Smile, a service that takes the dental office into senior centers and residences to provide comfortable, personalized dental care.


Nicole received her bachelor’s degree in nursing from the University of Virginia School of Nursing and continued her education to receive a Master of Science in Nursing – Family Health Nurse Practitioner from Virginia Commonwealth University.
As a nurse and nurse practitioner, she has over 20 years of combined experience. Her experiences in healthcare include family practice, occupational health and nursing home/rehabilitation.
Nicole believes in patient and family education as a vital tool in disease prevention and control as well as empowering them to actively participate in their own healthcare.
In her free time, she enjoys spending time with family and friends, high intensity interval training and running.



Paul Bannen, MD
Board Certified in Medical Oncology by the ABIM. He received his medical degree from University of Missouri-Columbia School of Medicine and completed his Internal Medicine Residency at University of Texas Health Science Center. He then went on to complete his Fellowship at Georgetown University.
Board Certification: Internal Medicine and Medical Oncology Awards: 2024 Washingtonian Top Doctor
Chitra Rajagopal, MD

Specializes in Medical Oncology and is Board Certified. She received her medical degree from Madras Medical College and completed her Internal Medicine Residency and fellowship at Georgetown University.
Board Certifications: Internal
and Medical Oncology
Holly Dushkin, MD

Specializes in Medical Oncology and is Board Certified. She received her medical degree from Temple University School of Medicine and completed her Residency at Temple University Hospital. She went on to complete her fellowship at Fox Chase Cancer Center.
Board Certification: Internal Medicine and Medical Oncology


A Board Certified in Medical Oncologist. A native of Burma, Dr. Smith attended Niagara University in New York and later attended St. Louis University Medical School. Following medical school, he completed Residency and Oncology Fellowship at Georgetown University - Lombardi Cancer Center. Dr. Smith has been in practice in the D.C. metropolitan area for many years and has been an integral advocate in the community to promote access to clinical research.
Board Certification: Medical Oncology Awards: 2024 Washingtonian Top Doctor

If you’re facing cancer, we’re here for you. RCCA’s expert oncologists and hematologists bring the latest cancer therapies, treatment strategies and clinical trials to convenient, community-based care centers near your home.
Our expert oncologists and hematologists offer cutting-edge, compassionate care for solid tumors, blood-based cancers and noncancerous blood disorders.
RCCA’s doctors and medical staff treat those who are newly diagnosed, are in the midst of treatment or have completed active treatment and have a question or need follow-up care. To schedule an appointment call 844-346-7222 or visit www.RCCA.com



Marissa Albano MD is a Board Certified Fellowship Trained Cataract and Glaucoma Surgeon. She graduated from Georgetown University School of Medicine, Washington, DC and completed a residency in Ophthalmology at Georgetown Hospital/Washington Hospital Center. She finished her training with a specialization in glaucoma and glaucoma surgery at Tufts University Medical Center, Boston MA.
Dr. Albano is a member of the American Glaucoma Society, American Academy of Ophthalmology and Northern Virginia Association of Ophthalmologists. She is a diplomat of the American Board of Ophthalmology.


Springfield
VA 22152
Woodbridge Office 4565 Daisy Reid Avenue
Jennifer Dao, MD is a Board Certified Fellowship Trained Pediatric Surgeon who specializes in the care and treatment of children’s medical eye conditions. She graduated from Georgetown University School of Medicine in Washington, DC and completed a residency in Ophthalmology at Georgetown Hospital/Washington Hospital Center. She finished her training with a specialization in pediatric ophthalmology at Duke University School of Medicine, Durham, NC.
Dr. Dao is a member of the American Academy of Ophthalmology and the American Association for Pediatric Ophthalmology and Strabismus. She is a diplomat of the American Board of Ophthalmology. Dr. Dao has received Top Doctor Award from Washingtonian Magazine.
VA 22192
703-451-6111
ECNV.com


Springfield Office
8136 Old Keene Mill Road
Suite B-300
Springfield, VA 22152
Woodbridge Office
4565 Daisy Reid Avenue Suite #310
Woodbridge, VA 22192
703-451-6111
ECNV.com


Dr. Albano specializes in medical, laser and surgical treatment of glaucoma, with or without minimally invasive glaucoma procedures (MIGS). She also performs cataract surgery. Dr. Albano is available by appointment or referral at both our office locations.
Haresh Ailani, MD is a Board Certified Fellowship Trained Cataract and Cornea Surgeon. He graduated from New York University School of Medicine, NY and completed a residency in Ophthalmology at North Shore Long Island Jewish Health System, NY. He finished his training with a specialization in cornea and complex anterior segment surgery at Wills Eye Institute, Philadelphia, PA.
Dr. Ailani is a member of the American Academy of Ophthalmology and the American Academy of Cataract and Refractive Surgery / Cornea Surgeons. He is a diplomat of the American Board of Ophthalmology. He has received Top Doctor Awards from Washingtonian Magazine, Northern Virginia Magazine, Castle Connolly and Best Cataract Surgeons in America.
Dr. Ailani specializes in anterior segment surgery including cornea and cataract refractive surgery, with or without femtosecond assisted laser, using standard and advanced technology intraocular lenses. He has performed over 15,000 cataract surgeries. Dr. Ailani is available by appointment or referral at both our office locations.
A native of Leesburg, VA, Claiborne M. Callahan, MD graduated with distinction from The University of Virginia in 1996. In 2000, she graduated from The University of Virginia School of Medicine. She completed her Ophthalmology Residency at Tulane University in 2004.
Prior to joining NewView Eye Center, Dr. Callahan was in private practice in Virginia, Florida, and Alabama. Her knowledge, experience and patientcentered focus allows her to spend quality time with each patient to diagnose, educate and treat them. She understands that patients have a choice with whom to entrust their eye care needs, and she prides herself on adhering to the highest ethical standards in the practice of medicine.
Dr. Callahan has performed thousands of cataract surgeries, as well as laser, glaucoma and eyelid plastic surgeries. She has treated a myriad of eye conditions throughout her career. She is committed to ongoing education and stays current with diagnoses and treatments. She attends several educational and training meetings yearly to remain in the forefront of ophthalmology advancements.
She is a Diplomate of the America Board of Ophthalmology, a Fellow of the American Academy of Ophthalmology, and others.
#310 Woodbridge, VA 22192
Dr. Dao specializes in pediatric strabismus and surgery, amblyopia treatment, nasolacrimal duct obstruction treatment and retinopathy of prematurity. She is available in both our office locations by appointment or referral.


Springfield Office
8136 Old Keene Mill Road
Suite B-300
Springfield, VA 22152
Woodbridge Office
4565 Daisy Reid Avenue Suite #310
Woodbridge, VA 22192
703-451-6111
ECNV.com


Leah Fuchs, MD is a Board Certified Comprehensive Medical Ophthalmologist. She graduated from the Mount Sinai School of Medicine in New York, NY where she also completed her residency in Ophthalmology. She then became a Clinical Instructor in Ophthalmology at the New York University School of Medicine before relocating to Northern Virginia.
Dr. Fuchs is a member of the American Academy of Ophthalmology, Northern Virginia Association of Ophthalmologists and a diplomat of the American Board of Ophthalmology. She has received Top Doctor Awards from Washingtonian Magazine, Virginia Living Magazine and Northern Virginia Magazine.
Dr. Fuchs specializes in comprehensive medical ophthalmology, including ophthalmic lasers and emergency eye care. She is available by appointment or referral in both our office locations.
Dr. Griffiths is one of this area's most experienced surgeons and offers state-of-the-art Laser Vision Correction, Cataract Removal, Multifocal Lens Implants, and Comprehensive Ophthalmology. She has helped thousands of patients who struggle with their vision. Her knowledge, compassion, and attention to detail are the reasons she was voted by her peers to be one of this area’s most elite physicians.
Degrees, Training & Certifications:
Dr. Griffiths is a Board Certified Ophthalmologist. She received her undergraduate degree from Yale and her medical degree from the University of Michigan. She then completed her Ophthalmology Residency at Georgetown University Medical Center.
Professional Memberships & Affiliations:
Dr. Griffiths is the immediate past Ophthalmology Section Chief of Reston Hospital Department of Surgery, the former Chief of Ophthalmology for the Reston Ambulatory Surgical Center in Reston, VA as well as Loudoun Hospital in Leesburg, VA, Diplomate of the American Board of Ophthalmology, a Fellow of the American Academy of Ophthalmology, a member of the American Society of Cataract and Refractive Surgery, the Washington National Eye Center and others.
"Top Ophthalmologist" Washingtonian and NorthernVirginia Magazine



Sumeet Gupta, MD is a Board Certified Fellowship Trained Cataract and Glaucoma Surgeon. He graduated from University of Virginia Medical School in Charlottesville, VA and completed a residency in Ophthalmology at West Virginia University in Morgantown, WV. There, he finished his training with a specialization in glaucoma and complex anterior segment surgery. He later joined the faculty at West Virginia University as an Associate Professor of Ophthalmology.
Dr. Gupta is a member of the American Glaucoma Society and American Academy of Ophthalmology. He is a diplomat of the American Board of Ophthalmology.
Dr. Gupta performs laser eye surgery, complex cataract surgery, and all forms of glaucoma surgery including minimally invasive procedures (MIGS). Dr. Gupta is available by appointment or referral at both our office locations.


Ifeoma Ude, MD is a Board Certified Cataract Surgeon and Comprehensive Ophthalmologist. She graduated from Morehouse University School of Medicine in Atlanta, GA and completed a residency in Ophthalmology at the University of Maryland Medical Center, Baltimore, MD.
Dr. Ude is a member of the American Academy of Ophthalmology and Women in Ophthalmology. She is a diplomat of the American Board of Ophthalmology.
ECNV.com

Eye Consultants of Northern Virginia
Bethany Karwoski, MD is a Board Certified Fellowship Trained Pediatric Surgeon who specializes in the care and treatment of children’s medical eye conditions. She graduated from Georgetown University School of Medicine, Washington DC and completed a residency in Ophthalmology at New York University, NY. She finished her training with a specialization in pediatric ophthalmology at Children’s National Medical Center in Washington, DC. Dr. Karwoski served as an Assistant Professor of Ophthalmology and Pediatrics at George Washington University.

Woodbridge Office
4565 Daisy Reid Avenue Suite #310
Woodbridge, VA 22192
703-451-6111
ECNV.com


Dr. Karwoski is a member of the American Academy of Ophthalmology, American Association for Pediatric Ophthalmology and Strabismus as well as the Costenbader Society. She is a diplomat of the American Board of Ophthalmology. She has received Top Doctor Award from Virginia Magazine.
Dr. Karwoski specializes in pediatric strabismus and surgery, amblyopia treatment, nasolacrimal duct obstruction treatment and retinopathy of prematurity. She is available in our Woodbridge office location by appointment or referral.
Eye Consultants
Hampton Khanna, MD is a Board Certified, Fellowship-Trained Pediatric Surgeon who specializes in the care and treatment of children’s medical eye conditions. She graduated from University of Maryland School of Medicine, Baltimore, MD and completed a residency in Ophthalmology at University of Maryland Medical Center. She finished her training with a specialization in pediatric ophthalmology at Children’s National Medical Center in Washington, DC.
Dr. Khanna is a member of the American Academy of Ophthalmology and the American Association for Pediatric Ophthalmology and Strabismus. She is a diplomat of the American Board of Ophthalmology.
Dr. Khanna specializes in pediatric strabismus and surgery, amblyopia treatment, nasolacrimal duct obstruction treatment and retinopathy of prematurity. She is available in both our office locations by appointment or referral.


Dr. Ude specializes in comprehensive medical and surgical ophthalmology, including ophthalmic lasers, cataract surgery, and emergency eye care. She is available by appointment or referral in both our office locations.
Jessica Van Looveren, MD is a board-certified fellowship trained ophthalmologist with specialty training in glaucoma. She graduated from Duke University School of Medicine in Durham, NC and completed a residency in Ophthalmology at New York University, NY. She finished her training with a specialization in glaucoma treatment at University of Virginia Department of Ophthalmology, Charlottesville, VA.
Dr. Van Looveren is a member of the American Glaucoma Society and American Academy of Ophthalmology. She is a diplomat of the American Board of Ophthalmology.
Dr. Van Looveren specializes in the management and medical treatment of glaucoma, including laser eye surgery. She is also available for comprehensive medical eye exams and urgent visits. Dr. Van Loovern is available by appointment or referral at both our office locations.





I feel incredibly blessed to be part of each patient’s journey toward achieving their dream smile. The work I do, and the meaningful connections I form with my patients, bring me unparalleled joy and fulfillment every single day. As we celebrate our 30th anniversary in 2025, I am more proud than ever to be part of a team that places the utmost care and value on our doctors, staff, and patients. This focus on fostering a supportive, compassionate, and positive environment for everyone has allowed us to provide the best possible service and build lasting relationships with those we serve.
I’ve had the privilege of treating both children and adults, utilizing the latest advancements in orthodontic technology. As a Board-Certified Orthodontist and an Invisalign® Diamond Plus Provider, I rank among the top 1% of Invisalign providers in the U.S.
At Let's Smile, we truly believe that the care we provide to our staff, the culture we create, and the ongoing commitment to education and advancement is what enables us to deliver exceptional service to our patients. I look forward to continuing this incredible journey and can’t wait to welcome you into our practice!






Lake Arbor Way Mitchellville, MD
301-333-3900
www.HarmonOrtho.com

Degrees, Training and Certificates: Master of Science in Dentistry in Orthodontics; DDS and BS from Case Western Reserve University in Cleveland, OH
Professional Memberships/Associations: President Mid-Atlantic Society of Orthodontists; Assistant Clinical Professor at the University of Maryland, Department of Orthodontics; Adjunct Assistant Professor at Case Western Reserve University, Department of Orthodontics, Cleveland OH; American Association of Orthodontists; Member, Board of Directors Mid-Atlantic Society of Orthodontists; Past President of the Maryland Society of Orthodontics; Alpha Phi Alpha Fraternity, Inc.; Former Member of Bishop McNamara High School’s Board of Directors; Former Member, Board of Directors Prince George’s Community College Education Foundation Areas of Interest: Building and networking computers, golf, and football Family/Hobbies/Interests: Children, Kennedy and David III; Wife: Shonda W. Harmon, MBA, MPA
Degrees, Training & Certifications: Dr. Swathi M. Reddy, DMD received her DMD from Goldman School of Dental Medicine, Boston University. She graduated with high honors and was inducted into the Omicron Kappa Upsilon National Dental Honor Society. She received additional training to be a specialist in Orthodontics and Dentofacial Orthopedics at University of Nevada.

Professional Memberships: Dr. Swathi M. Reddy, DMD is an active member of many organizations, including the American Association of Orthodontists, American Dental Association, Northern Virginia Dental Society, Southern Association of Orthodontics, and Virginia Dental Association. Best Health Advice: It is recommended by the AAO (American Association of Orthodontics) that all children get a check-up with an orthodontist no later than age 7. An orthodontist can identify any problems with emerging teeth and jaw growth, even while some baby teeth are still present.
Services: We now create custom clear aligners onsite using Advanced 3D Printing – faster, precise, and made just for you. All Smiles Orthodontics offers complimentary consultations with convenient office hours and flexible payment plans with interest free financing. Practice Philosophy: “My philosophy is to provide the best orthodontic treatment at the most appropriate age. It is important to analyze each patient’s specific needs, because indepth planning leads to superior results and higher patient satisfaction. I strive to maintain a balanced and harmonious facial appearance with a functional bite, in addition to providing a long-lasting beautiful smile.” – Dr. Swathi M. Reddy, DMD


Annandale (Fairfax) Office 3299 Woodburn Road
Suite #480, Annandale, VA 22003
Shirlington (Arlington) Office 2800 Shirlington Road
Suite #1100, Arlington, VA 22206 Reston Office
1886 Metro Center Drive
Suite #300, Reston, VA 20190
703-769-8449
AndersonClinic.com


Lorton Office
10716 Richmond Highway
Suite #101, Lorton, VA 22079
Shirlington (Arlington) Office 2800 Shirlington Road
Suite #1100, Arlington, VA 22206
Reston Office
1886 Metro Center Drive
Suite #300, Reston, VA 20190
703-619-4400
AndersonClinic.com


Pain Management at
Anderson Orthopaedic
Dr. Gallagher is a fellowship-trained Orthopaedic Surgeon specializing in trauma, reconstruction, joint replacement, and sports injuries of the foot and ankle. He earned his undergraduate degree from Georgetown University and completed medical school at Thomas Jefferson University. His residency and fellowship training took place at Union Memorial Hospital in Baltimore, where he also worked at Johns Hopkins Hospital and the University of Maryland Shock Trauma Center.
He treats a wide range of foot and ankle conditions, including primary and revision ankle replacements and complex fractures such as tibial pilon, calcaneal, and talus fractures, as well as Achilles tendon injuries. Dr. Gallagher is a member of the American Academy of Foot and Ankle Surgeons and serves on its Research Committee, staying at the forefront of national research.
He uses advanced techniques like patient-specific instrumentation for ankle arthroplasty and minimally invasive approaches for various procedures. Dr. Gallagher prioritizes keeping patients active and tailors treatments to their goals. Outside of work, he enjoys cooking and spending time outdoors with his family.
Anderson Orthopaedic Clinic
Dr. Aaron Gebrelul is a fellowship-trained orthopaedic surgeon specializing in hip and knee joint replacement, with expertise in robotic-assisted and minimally invasive techniques that promote personalized care and faster recovery.
He graduated magna cum laude from Washington University in St. Louis and earned his medical degree at Emory University. Dr. Gebrelul completed his Orthopaedic Surgery residency at the University of Texas Southwestern, where he served as Chief Resident and earned top academic awards. His fellowship training took place at the University of Pennsylvania, working with leaders in hip and knee replacement.
Dr. Gebrelul’s surgical focus includes direct anterior hip replacements, minimally invasive knee replacements, fracture care, and complex revisions. He uses advanced technology like robotic assistance and computer navigation to improve surgical precision.
Outside of work, he enjoys barbecuing, spending time with family, and watching LSU football. His goal is to help patients return to a pain-free, active life with individualized care.
Dr. Talal Ghazal is Board Certified in both Anesthesiology and Pain Medicine by the American Board of Anesthesiology. He specializes in advanced, minimally invasive treatments for chronic pain, including spinal cord neurostimulation, targeted drug delivery, radiofrequency neurotomy, regenerative medicine, and more. Dr. Ghazal completed his surgical and anesthesiology training at Boston University Medical Center, followed by fellowship training in Pain Medicine at New York University Medical Center, a recognized Pain Society Center of Excellence. He believes in a compassionate, patient-centered approach, taking time to listen and design individualized treatment plans. Dr. Ghazal has held leadership roles as Director of Pain Medicine Clinics at INOVA Fair Oaks and Mount Vernon Hospitals, and Director of Pain Services at Holy Cross Hospital. He remains active in multiple professional societies and up to date on the latest innovations in pain management.
Outside of work, he enjoys family time, sports, cooking, travel, and community volunteerism.



Pain Management at Virginia Hospital Center 1635 North George Mason Drive, Suite #150 Arlington, VA 22205
571-732-0044
AndersonClinic.com


7500 Greenway Center Drive, Suite #940 Greenbelt, MD
2021 K Street, NW Suite #605 Washington, DC
301-718-1082
www.GTPain.com


Anderson Orthopaedic Clinic
Dr. John Huffman, MD, is a Board Certified Pain Management physician at Anderson Orthopaedic Clinic’s Arlington location on the Virginia Hospital Center campus. Certified in Anesthesiology and Pain Medicine since the 1990s, he completed his training at George Washington University, where he served as Chief Resident and later as an assistant professor.
Dr. Huffman spent over 22 years as Medical Director of Pain Management at Holy Cross Hospital, leading a team of more than 25 professionals. He specializes in Intrathecal Drug Delivery and Spinal Cord Stimulation—advanced, implantable therapies for chronic pain.
He has published, taught, and remains active in research and continuing education. Dr. Huffman takes a multidisciplinary approach, tailoring each treatment plan to the individual while emphasizing honesty and trust in patient care.
Outside of work, he enjoys spending time with his dog, Hope, as well as exercising, cooking, design, and travel.
Georgetown Pain Management
Degrees, Training, and Certificates: I am the attending physician at Georgetown Pain Management. I was a Clinical Fellow in Pain Medicine at Massachusetts General Hospital / Harvard Medical School and completed training in acute and chronic pain evaluation and diagnosis, medication management, fluoroscopic- and ultrasoundguided interventional techniques, and advanced implantable therapies. I completed Anesthesiology Residency at Georgetown University Hospital in Washington, DC and received my Medical degree from Weill Cornell Medical College in New York City. My professional interests include the clinical care of patients with chronic pain through a balanced, multidisciplinary approach, as well as medical education, humanism in medicine, and medical humanities.
Professional Memberships/Associations: Board Certified, Anesthesiology. American Academy of Pain Medicine, American Medical Association, American Society of Anesthesiologists, American Society of Regional Anesthesia and Pain Medicine, District of Columbia Society of Anesthesiologists, International Anesthesia Research Society, Massachusetts Society of Anesthesiologist, North American Neuromodulation Society Spine Intervention Society


Bringing you university quality care with private practice efficiency and compassion.
Degrees, Training, and Certificates: MD - University of WisconsinMadison 1997. Completed his training at Hospital of the University of Pennsylvania, with specialized training in Interventional Pain Management at the renowned Cleveland Clinic Foundation.
Medical Director - Georgetown Pain Mangaement
Professional Memberships/Associations: Selected to become the Program Director of the Interventional Pain Management Center at Georgetown University Hospital, where he is currently serving as a Section Chief and an Assistant Professor of Pain Medicine at Georgetown University Hospital. Associate Member in Washington Metro Pain Institute.


American Board of Pediatric Dentistry. When not helping my young patients build happy smiles, enjoy spending time with family and friends, growing in my faith, improving my dancing skills, learning
moves, traveling — and cheering on Washington sports teams! “Dr. Krystle,” as she is known by her patients, is thrilled to join her mom, Dr. Lynda, in practice. Patients and parents compliment her fun, compassionate approach. They are also impressed by her commitment to helping each child and parent have a positive dental experience. Having matured as a dental surgeon, she is constantly working to enhance her capabilities in the field.
Dr. Lynda Dean-Duru over the last twenty years has built one of the most progressive pediatric dental practices in Northern Virginia. Based in Ashburn, her Ashburn Children’s Dentistry practice serves thousands of families and stays on the cutting edge of Integrative wholistic airway-focused preventative dentistry.
For Dr. Dean-Duru, the pathway to dentistry stemmed from her childhood experience with a dentist in her native Nigeria. As the eldest of nine children (including seven brothers), she witnessed a total transformation in the health of one of her little brothers after his aches and pains were totally resolved under the care of a well-trained dentist. She determined, as a result of that experience, to extend that kind of care to others as her life’s calling.
Her decades of study and practice have led Dr. Lynda to this focus. She holds her dentistry degree from the University of Benin, her General Practice Residency from Howard University Hospital, her Pediatric Dentistry Specialty Training from Children’s National Medical Center, her Board Certification from the American Board of Pediatric Dentistry, and her Fellowship Laser Certification from the Academy of Laser Dentistry. She has undertaken numerous continuing education courses in Orthodontic training and is a fellow of the United States Dental Institute and a member of the prestigious Gnathos Orthodontic education group in Atlanta, GA. She holds a Certification in Orofacial Myology from the International Association of Orofacial Myology (IAOM). She has completed all 3 levels of the ALF Education Institute (Advanced Light Force Functionals (Quantum ALF) program, ALF Interface Academy Foundations, Genesis, Grow, Smilelase (Oralase / Babylase), Airway Collaborative Mini Residency, Pediatric Airway Mini Residency and other courses. She is a member of numerous professional and civic associations and provides tens of thousands of dollars in pro bono screenings and procedures along with other community service in Northern Virginia every year.
Dr. Dean-Duru and her family live in the Ashburn/Leesburg area. Her daughter, Krystle, followed in her footsteps as a Pediatric Dentist.


“Loved By Kids, Trusted By Parents”
Dr. Rishita Jaju is a Board-Certified Pediatric Dentist and founder of Smile Wonders in Reston, VA. Harvard-trained and a TEDx speaker, she is a published expert in Pediatric Laser Dentistry and a certified Breastfeeding Specialist. With over 15 years of experience, Dr. Rishita has cared for thousands of infants, toddlers, and children with feeding challenges. She holds Advanced Laser Proficiency Certification and Mastership Status from the Academy of Laser Dentistry, making her a leader in her field. Dr. Rishita's contributions extend to research, publications, and training healthcare professionals on laser applications. She has served as chief resident at Children’s National Medical Center and on influential committees for pediatric dentistry. Dedicated to her community, she participates in the annual Give Kids a Smile initiative. A proud UGA Bulldog, she enjoys traveling with her husband, son, and their two Maltese pups, Kaju and Kulfi, having explored every continent except Antarctica.


at Buffalo School of Medicine in 1991. She completed her Internship and Residency at Howard
DC General Hospital in 1994. After becoming Board Certified in Pediatrics by the American Board of Pediatrics, Dr. Johnson worked as an Emergency Room Pediatric Physician at DC General Hospital and for a local pediatrician before she began her practice: Loving Care Pediatrics in Hyattsville, MD in 1998. She is continuing to pursue CME credits to maintain board certification. Concurrently, she serves as a Clinical Instructor to nursing students at Howard University Family Nurse Practitioner (FNP) Program; John Hopkins Family Nurse Practitioner (FNP) Program; Marymount Family Nurse Practitioner (FNP) Program; and University of Maryland Baltimore Family Nurse Practitioner (FNP) Program. She also serves as a Clinical Instructor for medical assistant students at Stratford University; Fortis College, Brightwood College and Career Technical Institute. She is a Fellow of the American Academy of Pediatrics (FAAP). Dr. Johnson is also a member of the Prince George’s Community Advisory Group (CAG), Washington Adventist Health Ministry Network and the Medical Advisory Committee for Amerigroup Insurance. Dr. Johnson has given lectures on Teen Suicide and Teen Awareness on HIV/AIDS to youth groups in Washington, DC and continues to publish articles in Washington Woman’s Journal and Your Health Magazine in Prince George’s County. She served as Medical Director of the Mid-Maryland Mission of Mercy and Health Equity Festival, which provides free dental care. She annually gives talks “Suicide Is Not an Option” and “Teen HIV/AIDS Awareness” to a group for youth summer program in Washington, DC. She integrates Christian prayer into her practice when appropriate and regularly incorporates social justice topics into her magazine articles. Practice Philosophy: am committed to serving my patients, parents and community by providing excellent and compassionate health care service to a culturally diverse population that promotes the
and wellbeing of the people we serve.



Onjo Medical Solutions
Dr. Marc Stanard specializes in surgical and non-surgical periodontics, extractions, and dental implants. He is a graduate of Georgetown University School of Dentistry where he received his DDS in 1989. Dr. S. continued his studies at Emory University School of Dentistry and the Veteran’s Affairs Medical Center/Marquette School of Dentistry earning after four additional years his postgraduate specialization certificates. There are few things in life more important than keeping your teeth happy and healthy. That’s why Dr. Marc Stanard, a specialist in periodontics and surgical implant dentistry, is devoted to making it easy, comfortable, and even fun to take care of your teeth. When you come in for a check-up or procedure, he’ll take the time to listen to what’s bothering you and walk you through every step of the treatment he recommends. Whether you’re here for a gum graft or a different specialized procedure, you can relax knowing you’re in caring and experienced hands.
With decades of experience and a passion for his work, there’s no one better equipped to handle your periodontal care than Marc P. Stanard, DDS, PC. We specialize in all aspects of periodontal therapy, extractions, implants, and more. We provide highquality, comfortable, advanced, and affordable dental care. Please schedule your appointment today with us for dental care services in our friendly office!

20680 Seneca Meadows Parkway, Suite #218 Germantown, MD 240-813-9111
www.TotalDentalCareMD.com

Dr. Mary Alexander, periodontist, obtained a Bachelor of Science degree in Biology from the University of South Carolina and continued her education in dentistry at the University of Maryland School of Dental Surgery where she received her DDS degree. Prior to and during her dental studies, Dr. Alexander received funding and support from the National Institutes of Dental Research for her involvement in the periodontal research.
After obtaining her DDS degree Dr. Alexander spent one year at the Veteran’s Administration Hospital, in general practice residency focusing her training in the area of anxiety patient management. She then attended Harvard University and earned her clinical specialty in periodontics and a doctorate in medical science. Her doctoral research was focused in the study of bone function and metabolic disease of the bone.
Dr. Alexander received extensive training in dental implantology, periodontal plastic surgery, bone regenerative procedures and sedation dentistry. All aspects of Dr. Alexander’s training are incorporated in her periodontal practice assuring patient’s thorough and comprehensive periodontal treatment. Mary B. Alexander,
Periodontal Care can save your life! Let me help you live healthier than ever before. As a periodontist, Dr. Karl Smith specializes in periodontics and implantology. Periodontists are experts in treatment of gum disease, establishing and maintaining periodontal health, cosmetic smile enhancement procedures, and dental implants to replace teeth that are missing. Although no one really likes to go to the dentist, we strive to make your visits with us as comfortable and pleasant as possible. Patients’ comfort is an important part of quality dental care. If you aren’t safe and comfortable you won’t go and going is just a good thing for your body!
Degrees, Training and Certificates: Doctor of Dental Surgery Degree from the University of California, Los Angeles 1981. After graduation immediately entered General Practice in the U.S. Air Force Dental Corps. Successfully completed three additional years of advanced training in the specialty of Periodontics, Dental Anesthesia and Implants in 1992 at the University of Texas Health Science Center, San Antonio and Wilford Hall USAF Medical Center. Retired from the U.S. Air Force as a Lieutenant Colonel after four years of reserve and fifteen years of meritorious world-wide active duty service in 1996. Fellowship in the Academy of General Dentistry and in DOCS, an organization for sedation dentistry.
Dr. Smith’s colleagues describe him as a gentle, easy-going person, and people come from near and far to experience the comfort and safety of his office and patient-oriented team. He is consistently rated by his peers as a Top Dentist 2010-2022 in Virginia Living Washingtonian Magazine, and Northern Virginia Magazine.
His


9400 Livingston Road Fort Washington, MD 20744 301-248-8900
RehabMedOnline.com


Dr. David Oria is Board Certified in Physical Medicine & Rehabilitation, by the ABPMR, with specialty training in Brain Injury Medicine. He has developed successful treatment protocols for patients recovering from concussion, stroke, migraine headaches and muscle spasticity. Dr. Oria’s expertise include chronic injury management, musculoskeletal injuries, neuromuscular disorders, spinal cord injuries, and other conditions including carpal tunnel syndrome, sciatica, and fibromyalgia. Dr. Oria enthusiastically couples current advancements in rehabilitation treatments such as interventional injections and Botox Therapy with his extensive knowledge of musculoskeletal disease.
Dr. Oria graduated from the University of California in Los Angeles CA (UCLA), completing his medical training at Midwestern University and Physical Medicine & Rehabilitation Training at Lincoln Medical Center in New York City, Sinai Hospital in Baltimore MD, and Fellowship training in Brain Injury in Washington DC at Georgetown/National Rehabilitation Hospital.
Dr. Oria brings his expertise to Fort Washington, MD at Nat’l Medical Rehabilitation, focusing on neuro-rehabilitation, neuromuscular disease, interventional pain treatments and Brain Injury Care.
For more information, visit us at www.rehabmedonline.com or call (301) 248-8900 to schedule with Dr. Oria today!
Dr. Yongsook Victoria Suh, a Board Certified Plastic Surgeon from McLean, VA, blends science, artistry, and compassionate care. A graduate of Langley High School and Amherst College, she earned honors in English Literature and Neuroscience before completing her medical degree at New York Medical College and advanced surgical training at Ohio State University. With over a decade of experience, Dr. Suh is known for her personalized approach, delivering natural-looking results in facial rejuvenation, body contouring, and breast reconstruction. She combines multiple advanced techniques—such as pairing facelifts with fat grafting—for optimal outcomes.
Her research in breast and burn reconstruction and hand injuries has been internationally recognized, including presentations at global conferences. A dedicated educator and volunteer, Dr. Suh has led health-focused radio programs, medical missions to Haiti, and community outreach for breast cancer awareness. She’s served on the Board of Directors for the Community Coalition for Haiti and was appointed to the Virginia DMV Medical Advisory Board.
Recognized by Washingtonian, Northern Virginia Magazine, and Super Doctors, Dr. Suh leads Victoria Plastic Surgery Center in Fairfax, offering state-of-the-art care. Her commitment to safety, innovation, and individualized attention makes her a trusted partner in every patient’s transformation journey. Yongsook Victoria Suh,


Highly Effective Treatment for Nail Fungus.
Now available in the comfort of your home!
Just 20-minute sessions, twice a month for 5 months.
Before entering Podiatry School, Dr. Andre visited some local podiatrist to find out what Podiatrists do. She found out that they didn’t like to perform house calls and that she needed to fill that void – taking the Podiatry office to the patient!
Since Dr. Andre offers direct care, you can schedule an appointment as often as necessary – in the comfort, privacy, safety and convenience of your home or office.
One of the treatments she offers is a treatment for Neuropathy. Neuropathy is numbness, tingling, burning, shooting pain in the feet or hands and is usually treated with drugs - which are not very effective and have side effects. People with neuropathy may fall and need to stop driving because they cannot sense whether they are pressing on the brake or gas.
The treatment she offers is safe, effective, non-invasive and non pharmacologic. This treatment is also effective for circulation issues, inflammation, joint pain and last but not least peripheral neuropathy. Her practice philosophy is “Non-invasive (without surgery or injections) pain elimination so that you can enjoy and participate in the activities of daily living – driving, sports etc.
Ingrown toenails treated on the same day, thick ugly nails, corns and calluses are also conditions she addresses in the comfort, convenience, safety and privacy of the home or office.
Call Today for an Appointment!



WE’VE MOVED!!!
1140 Varnum Street, NE Suite #30 Washington, DC
202-388-5303
www.DistrictPodiatry.com

District Podiatry, PLLC
Foot doctor Lubrina Bryant, DPM is dedicated to getting to the root of your foot or ankle problem.
District Podiatry, PLLC specializes in general foot and ankle care. Having chronic foot and ankle pain can affect the quality of your life and finding the right foot and ankle specialist can be just as difficult. We know how hectic life can be and we are committed to making our practice and care convenient and accessible. We accept most insurance plans and welcome new patients!
From routine checkups to minor foot surgery, Lubrina Bryant, DPM is a podiatrist who is equipped to handle all your foot and ankle needs.
Services Include: Routine Foot Care, Diabetic Foot Care, Wart Removal, Ingrown Toenails, Foot, Ankle or Heel Pain, Toenail Fungus, and Bunions.
Bowie Foot and Ankle
Dr. Horowitz has been practicing in the Bowie area for over 25 years. He graduated from the Illinois College of Podiatric Medicine with a Doctorate of Podiatric Medicine and did his postgraduate training in podiatric medicine and surgery in association with the Podiatry Group of Greater New York and the New York College of Podiatric Medicine. Dr. Horowitz remained in New York for an additional two years to practice with several of his training program’s attending doctors in order to further hone his medical and surgical skills.

Dr. Horowitz enjoys the general nature of his practice and sees patients of all ages with a variety of foot problems. He especially enjoys dealing with the orthopedic nature of many podiatric problems, whether they be of recent onset or long standing. He has found that chronic problems affecting the ankle, knee, hip or back, can often be traced to recent symptoms within the foot, or vice versa. Dr. Horowitz continues to expand his knowledge in podiatric medicine, in an effort to bring advances in treatment and technology to his patients.
Professional Affiliations: American Podiatric Medical Association, Maryland Podiatric Medical Association and American Academy of Podiatric Sports Medicine Special Interests: Biomechanical Gait Analysis, Orthopedics, Surgery Board Certifications: Podiatric Surgery - American Board of Medical Specialties in Podiatry; Podiatric Orthopedics - American Board of Podiatric Orthopedics and Medicine


PREMIER
6120 Brandon Avenue Suite #109, Springfield, VA 202-918-4826
www.PaulRossDPM.com


Dr. Matthews is a specialist in sports related injuries of the foot and ankle, and minimally invasive regenerative medicine techniques. You can expect decreased pain as soon as your first visit!
Dr. Matthews is a southern California native, and grew up an avid surfer and snowboarder. He completed his residency with the Harvard Medical School at Mount Auburn Hospital, where he also served is clinical faculty in the Harvard Medical School. After residency Dr. Matthews pursued further training at the elite Weil Foot and Ankle Advanced Surgical Reconstructive Fellowship in Chicago, where he further honed his sports medicine and minimally invasive surgical techniques.
Dr. Matthews is an avid researcher, and one of the most published authors in his field. He regularly presents at national conferences, teaching the techniques and findings of his cutting edge research. He practices a protocoled approach to common problems to ensure the highest patient satisfaction possible, and utilizes advanced surgical techniques only when absolutely necessary.
In his free time, Dr. Matthews enjoys traveling, golfing, yoga, tennis, and all that the DC area has to offer!
Degrees, Training & Certifications: Dr. Cardinal is a Midwest native and finished his undergraduate studies at the University of Minnesota. He pursued his doctoral education at Scholl College of Podiatric Medicine in North Chicago, IL and graduated with a dual degree of Doctor of Podiatric Medicine and Master of Science in Healthcare Administration and Management. Dr. Cardinal went on to complete a 3-year medical and surgical residency with the VA Maryland Healthcare System with a focus in wound care, general podiatry and surgery. Dr. Cardinal is board certified by the American Board of Podiatric Medicine and is a fellow of the American College of Foot and Ankle Orthopedics.
Special Interests/Services: Podiatrist in Motion is a unique practice whose primary focus is house calls for foot and ankle concerns. Dr. Cardinal will come to you, to your home or office; meaning no waiting rooms, no traffic and no rushed visits. He treats all ages specializing in many general podiatric concerns such as heel pain, medical pedicures, ingrown nails, warts and pediatric podiatry. He performs biomechanical exams and casting for custom orthotics. Dr. Cardinal also offers cutting-edge treatments such as laser therapy for fungal nails and musculoskeletal pain.
Personal Interests & Hobbies: In his free time, Dr. Cardinal enjoys playing tennis, running, spending time with family and friends and playing the guitar.
Practice Philosophy: Podiatrist in Motion’s mission is to bring the foot care clinic to you, in the comfort of your own home, office or wherever you may need care. Private-pay only.

Dr. Garima Talwar brings 25 years of experience in Full Mouth Reconstruction and Implant Dentistry to the DC Tristate area.
Her dedication to cosmetic and full mouth reconstructive dentistry has won her many patients and their testimonials are self evident of their life changing experiences. She has been recognized as one of the best Prosthodontists by Top Dentist’ and Washingtonian Magazine and by her peers.
Dr. Talwar has been trained at leading centers in the world, including the US, England and India. She completed her training and masters in Prosthodontics from the School of Dentistry, University of Maryland. She is Assistant Professor at the Post Graduate Program of Prosthodontics at School of Dentistry, University of Maryland and Clinical Instructor in Prosthodontics and Oral and Maxillofacial Surgery at Johns Hopkins Hospital Baltimore, Maryland. She maintains her private practices in Virginia – Ashburn and Leesburg.




1775 Tysons Boulevard McLean, VA 22102 703-447-4361
Jennifer@WHomesinc.com

At W Homes, we understand the unique needs of seniors who wish to remain in their homes safely and comfortably. As a Certified SRES® and experienced broker, I offer compassionate support through every stage of homeownership, whether you're aging in place or preparing for a future move.
In addition to traditional real estate services, we provide specialized plans for seniors, including monthly or annual packages with dedicated hours, priority scheduling, and exclusive discounts. Our goal is to ensure a stress-free, safe, and well-maintained home environment.
We assist with contractor coordination, offering reliable, senior-friendly professionals for home care. We focus on smart, cost-effective improvements that enhance accessibility, such as ramps, grab bars, and lighting. Our property management agreements cover everything from home modifications to vehicle maintenance and bill assistance.
If you or a loved one need help managing your home or are considering downsizing, I invite you to schedule a complimentary consultation to discuss your goals.
Fana Skincare bNatural
Dr. Fana Assafa, PHD, DNP, RN is a world-renowned expert in treating skin of color population and pigmentary disorders for melanin-rich tones. With impressive credentials in the field of Aesthetic Medicine from prestigious educational institutions including continued education from Harvard Medical School. Advanced Injectables • Remove Unwanted Scars & Dark Spots
Laser Hair Removal • Chemical Peels • Medical Facials

8716 Georgia Avenue
Silver Spring, MD
301-476-3322
www.FanaSkincare.com


Radiofrequency, PRP, Ultrasound • Face & Body
Complexion Clearing • Advanced Skin Tightening Medical Grade Skin Care Products
Non-Invasive Body Fat Removal & Body Contouring
Glutathione Injections • Online Skin Consultations Women’s Intimate Wellness
Dr. Richard Edgar is a Primary Care Sports Medicine Physician at Anderson Orthopaedic Clinic specializing in non-operative musculoskeletal treatments. He has advanced training in concussion management, diagnostic ultrasound, and ultrasound-guided injections, including platelet-rich plasma (PRP). He performs advanced ultrasound procedures such as TenEx/ TenJet and ultrasound-guided carpal tunnel and trigger finger releases.
A native of Mechanicsville, MD, Dr. Edgar played youth soccer for DC United and captained the U.S. Men’s U-15 and U-17 National Teams. He graduated Summa Cum Laude from George Mason University with a BS in Psychology and was inducted into their Men’s Soccer Hall of Fame. He earned his medical degree at the University of Maryland, completed his Family Medicine Residency at the University of Pennsylvania, and a Sports Medicine Fellowship at Crozer Health. Diagnosed with type 1 diabetes at 11, Dr. Edgar understands the challenges of chronic illness and injury recovery. He holds the IOC Mental Health in Elite Athlete Certification and serves as a team physician for the U.S. U-17 Men’s National Soccer Team and local high schools.

Dr. Jeffrey Brown grew up in the state of Maine and went to Bowdoin College, where he graduated Magna Cum Laude in 1982. He accepted early decision into the Georgetown School of Dentistry, and graduated from there in 1986. While at Georgetown, Dr. Brown worked in the Neurology Department as an assistant on a project that involved studying the regeneration of nerve tissue in the spinal column after major trauma.
Upon graduation from Georgetown Dental School, Dr. Brown worked for a short time as an associate in a practice in Falls Church, VA. From there, he moved on and built his own practice in the Fairlington neighborhood in Arlington, VA, creating one of the largest practices ever seen on the East Coast.

Dr. Brown took a short sabbatical to help raise his four young children and to continue his education. It was then that he began the process of understanding sleep apnea and how it correlates to TMJ treatment. His knowledge in the combined fields of TMJ, sleep and orthodontics has given him a perspective unlike most other practitioners who perform basic dentistry. In addition, Dr. Brown has also learned the advanced techniques involved in expanding an airway so that both children and adults can breathe better. His training continued over time at the famous Sleep Medicine Center near the Emory University Hospital. He is a certified Fellow of the American Academy of Craniofacial Pain, awarded the Level of Legacy with the ALF Interface Academy and holds memberships with many academies.
In 2013, Dr. Brown met Dr. Brendan Stack and was immediately impressed with the success Dr. Stack had in treating TMJ cases and being able to repair so many damaged lives. For Dr. Brown, helping people by dealing with their debilitating TMJ issues became his second calling. And, as they say, the rest is history!

Dr. Troy Sukhu is originally a Maryland native who is thrilled to have the opportunity to give back to the Maryland community through a patient-centered approach. Dr. Sukhu earned his undergraduate degree from the University of Pennsylvania prior to attending the University of Virginia for medical school. He then completed his Urologic Surgery Residency at The University of North Carolina in Chapel Hill where he had extensive training in open, laparoscopic/ robotic, and endoscopic surgeries. Dr. Sukhu is a Board Certified in Urology by ABU. Dr. Sukhu is listed as an author on over 30 research papers and abstracts, and has presented at various regional and national conferences.

Dr. Sukhu treats all areas of urology but his main areas of focus are laparoscopic/ robotic surgery for kidney and prostate cancer, treatment of benign prostatic hyperplasia (BPH), minimally invasive treatment and prevention of kidney stones, and men’s health including erectile dysfunction and Peyronie’s disease. He strives to utilize cutting-edge technologies to achieve the best outcomes possible for his patients. Outside of work, he enjoys spending time with his wife and children.
Dr. Sukhu is an avid Washington D.C. and Maryland sport fan, enjoys being outdoors, and is always looking forward to trying new restaurants.


Multi-Disciplinary Clinic | Site Director, National Cancer Institute Fellowship in Urologic Oncology | Urology Residency Research Mentor
Dr. Michael J. Whalen, MD, is an accomplished Associate Professor of Urology and Director of Urologic Oncology at the George Washington University School of Medicine. A graduate of Harvard College and Columbia College of Physicians & Surgeons, he completed Residencies at New York Presbyterian Hospital-Columbia University Medical Center. Dr. Whalen holds board certification in Urology (ABU) and underwent specialized Fellowship training in Robotic and Minimally Invasive Urologic Oncology at Mount Sinai Hospital and Urologic Oncology at Yale-New Haven Hospital. Renowned for expertise in urological cancers, Dr. Whalen excels in both major open and minimally invasive surgeries, including pioneering the supine-position robotic retroperitoneal lymphadenectomy for advanced testicular cancer. His clinical focus spans prostate, bladder, kidney, and testis cancers, utilizing advanced techniques like robotic surgery with the DaVinci system and transperineal prostate fusion biopsy.
Apart from clinical practice, Dr. Whalen is actively involved in clinical outcomes research, contributing to numerous peer-reviewed journals. Recognized as a dedicated mentor, he received the Teacher of the Year award from Urology Residents in 2019. Acknowledged for excellence, Dr. Whalen was awarded the Commission on Cancer, Cancer Liaison Program Outstanding Performance Award in 2021 and listed as one of Washingtonian’s Top Doctors in 2020-2024. His commitment extends to education and cutting-edge clinical trials, solidifying his reputation as a leading figure in urology.

By Quansheng Lu, CMD, PhD, LAc Wholelife Chinese Medicine & Acupuncture Center
Dysmenorrhea, a prevalent issue among women globally, is characterized by periodic pain during, before, or after menstrual periods. This pain is caused by abnormal uterine contractions due to an excess of harmful prostaglandins. For some women, these pains can be intense enough to disrupt daily activities for several days each month.
Common symptoms of dysmenorrhea include cramping, lower abdominal pain, lower back pain, and a pulling sensation in the inner thighs. Additionally, women may experience headaches, dizziness, vomiting, nausea, diarrhea, or constipation.
There are two types of dysmenorrhea: primary and secondary. Primary dysmenorrhea occurs without any
physical abnormalities and typically begins within three years of the onset of menstruation. Contributing factors include allergies, poor diet, high estrogen levels, being overweight, smoking, and stress. Many experts link the uterine muscle contractions to prostaglandins, which are hormone-like substances involved in pain and inflammation. Secondary dysmenorrhea, however, results from gynecological conditions such as endometriosis, fibroids, and pelvic inflammatory disease (PID).
In Chinese medicine, pain is seen as a symptom of an underlying issue, which can stem from either an excess pattern or a deficiency pattern. Excess patterns involve blockages of Qi and blood or the retention of heat, dampness, or wind. Deficiency patterns arise from insufficient Qi and blood or an imbalance in the kidney and liver.
Practitioners of Chinese medicine use acupuncture and herbal medicine to treat dysmenorrhea. Their strategies include expelling wind, dissipating

By Janet V. Johnson, MD Loving Care Pediatrics
By providing encouragement and love, individuals can unlock their potential and thrive, leading to the development of their self-esteem. When we continuously uplift and affirm our children by saying, “I see your capabilities, and you have succeeded,” they gain the confidence to conquer any subject or task, instilling a belief in their abilities to excel in all areas of life.
These elements contribute to nurturing a child’s self-confidence and belief in themselves.
In our society today, it is common for individuals to criticize themselves and their children constantly. This pattern often stems from their own upbringing, which involved constant criticism, belittlement, and abuse. Unfortunately, some insensitive parents label their children as “losers,” “lazy,” “dumb,” or “cowards,” causing lasting wounds and self-doubt.
Fostering a child’s self-esteem requires warmth, love, encouragement, and positive reinforcement.
cold, eliminating dampness, moving Qi, invigorating blood, nourishing the blood, clearing heat, and tonifying the kidneys.
A recent review examined the effectiveness and safety of acupuncture for treating primary dysmenorrhea. The review included ten trials with data from 944 participants, with six

Parents often place irrational expectations on their children, failing to recognize and appreciate their unique talents and abilities. It is essential for parents to encourage their children to succeed by acknowledging their Godgiven talents and not expecting them to conform to something they are not capable of or have no interest in. Forcing a child with a musical inclination into a sports team they dislike, such as football or soccer, is counterproductive and undermines their self-esteem.
A common mistake parents make is
Please see “Cheerleaders,” page 38
trials focusing on acupuncture and four on acupressure. The results showed that acupuncture provided better pain relief compared to a placebo.
In Chinese medicine, ginger has long been used to alleviate dysmenorrhea due to its anti-inflammatory, spasmolytic, and circulatory proper-
Please see “Menstrual,” page 38



correction may prevent later removal of permanent teeth to correct crowding and/or surgical procedures to align the upper and lower jaws.
After phase one the patient enters the recall phase. During this phase 6-month recall appointments are scheduled for observation. Periodic x-rays may also be done to monitor growth and development.
Phase two of treatment most commonly occurs at the age of 11 or 12 years, but may vary depending on the child’s development. This phase involves the placement of full braces
ties. Ginger inhibits cyclooxygenase and lipoxygenase enzymes, which contribute to menstrual cramps. Another common Chinese medicine ingredient for treating dysmenorrhea is peach kernel.
on all the permanent teeth, which gives maximum control over tooth movement. The goal of phase two is to achieve ideal alignment and occlusion of all permanent teeth. Treatment time can range anywhere from 15-24 months.
Phase two helps to optimize treatment time when the child is growing to obtain best possible results. It also could prevent the need for extractions and/or corrective jaw surgery in the future.
To check if your child will need this type of treatment contact your orthodontist to schedule a complimentary consultation.
a loss of strength when trying to push off the foot.
Early diagnosis is essential. For mild cases of tendonitis, rest, ice, physical therapy, and changes in activity can reduce inflammation and promote healing. In some cases, immobilization or supportive orthotics may be recommended. If conservative treatment fails, or the tendon is severely damaged, surgery may be necessary to remove scar tissue or repair the tendon.
For Achilles tendon ruptures, treatment depends on the severity of the injury and the patient’s activity level. Nonsurgical treatment with casting or bracing may be effective for some patients, particularly older adults or those with lower activity de-
From page 20
mands. However, for younger or more active individuals, surgical repair often offers a quicker return to function and a lower risk of re-rupture.
Recovery from Achilles injuries, whether surgical or not, requires time and commitment. Physical therapy is critical to regain strength, flexibility, and balance. Rushing the healing process can lead to re-injury or chronic weakness.
Achilles tendon injuries can be painful and frustrating — but with the right treatment approach, most patients can return to their normal activities and avoid long-term complications. Paying attention to early warning signs and seeking care promptly are key steps toward a full recovery.
By integrating traditional Chinese medicine practices such as acupuncture and herbal remedies, women can find relief from dysmenorrhea and improve their well-being during menstrual cycles.
imposing a uniform standard on all their children. However, King Solomon’s wisdom advises parents to educate each child according to their individual inclinations. Every child possesses distinct strengths, tendencies, and unique abilities. We should never evaluate or compare one child to another, as each child should be guided in a way that is suitable for their own growth. Comparing a child to their sibling or anyone else can be considered a form of verbal abuse. Instead, children should be raised to embrace and celebrate their individuality.
Parents have a significant role in instilling self-confidence and selfesteem in their children through the immeasurable love and attention they provide. These tools for life far surpass what any academic degree in education can offer. It is the responsibility of parents to educate their children and impart moral values.
Here are four steps to effectively encourage success:
1. Offer focused attention: Take the time to prioritize each child individually. They cherish moments of

From page 37
undivided attention. Designate special days or activities for each child to create treasured memories.
2. Provide individual affirmation: Help your children discover their strengths and guide them in developing their skills. Understand each child’s unique personality, addressing both their positive and negative aspects. Tailor your approach to meet each child’s individual needs.
3. Express genuine appreciation: Avoid cultivating bitterness in your children. Acknowledge their achievements and let them know what they have done well. Show parental support, assuring them that you are on their team. While addressing mistakes is important, do not allow them to become the sole focus. Ensure your children know that you are proud of their accomplishments.
4. Embrace physical affection: Offer hugs, share laughter, and enjoy quality time together. These gestures of physical affection foster strong bonds and create a positive atmosphere for growth and development.




lot of weight particularly after a long stretch in school, tied to a computer.
What is key here is having control of your own body and not some outside force, like food or sedentary temptations having control.
I have a weight loss program designed to look at the inner work behind
From page 14
this, and to implement small lifestyle changes as you go.
Coaching is available also for this program or individual sessions as you map out your own plan.
For those of you considering this, I acknowledge your courage and push for a long, healthy, happy life.
help you assure that this development proceeds normally:
• Look carefully at your baby’s feet. If you notice something that does not look normal to you, seek professional care immediately.
• Cover baby’s feet loosely. Tight covers restrict movement and can retard normal development.
• Provide opportunities to exercise the feet.
• Change the baby’s position several times a day.
When the child first begins to walk, shoes are not necessary indoors. Of course, when walking outside or
From page 17
on rough surfaces, babies’ feet should be protected in lightweight, flexible footwear made of natural materials.
As a child’s feet continue to develop, it may be necessary to change shoe and sock size every few months to allow room for the feet to grow. Although foot problems result mainly from injury, deformity, illness, or hereditary factors, improper footwear can aggravate preexisting conditions.
The feet of young children are often unstable because of muscle problems which make walking difficult or uncomfortable. A thorough examination by a podiatrist may detect an underlying defect or condition.
seek fertility treatment another study found that 34% of female doctors had fertility problems. Of these 77-84% will utilize fertility medications and assisted reproductive technology.
In addition, the incidence of miscarriages and pregnancy complications have also been found to be higher in doctors. Some who have had
From page 21
pregnancy loses may not have time to recover nor do they have workplace support.
Female physicians trying to start their own families face unique challenges and need support both from their piers and from medical institutions.
Previously published on Medium.com



ACUPUNCTURE
Eastern Medical Holistic Healing Center, Angel Wood, 240755-5925. www.acupuncture4wellness.webs.com
ALTERNATIVE HEALTHCARE
Holistic Family Health - Thermal Imaging, Herndon, VA. 703-635-6324 For More information visit www.fhtid.com
BEAUTY/SKIN
A Better You, Dr. ClarkeBennett, 410-672-2742.
BREAST HEALTH
University of Maryland Charles Regional Medical Center. 11340 Pembrooke Square, Suite 202, Waldorf, MD 20603. 240-607-2010. UMCharlesRegional.org
CHINESE MEDICINE & ACUPUNCTURE
Wholelife Chinese Medicine & Acupuncture, 301-526-9898, 416 Hungerford Dr., Rockville www.wholelifeherb.com
DENTAL IMPLANTS
Dental Implants Center of Rockville – Dr. Sreenivasan Sivakumar, DMD, MSD –301-294-8700 – 77 South Washington Street, Suite #205, Rockville, MD 20850 – www.DrSreeni.com.
Karl A Smith, DDS, 2550 N. Van Dorn St., Suite #128, Alexandria, VA. Call 703-894-4867, Visit www.drkarlsmith.com
Richard Hughes, DDS, 703444-1152, 46440 Benedict Dr., Suite #201, Sterling, VA. www. SterlingImplantDentist.com
Marc P. Stanard, DDS – 202887-5441 – 1350 Connecticut Avenue, NW, Suite #305, Washington, DC 20036 – wdcperioimplant.com.
EYE CARE
Visual Eyes, Alexander Nnabue OD, 301-324- 9500.
FERTILITY
Montgomery Women’s Fertility Center – 301-946-6962 – MontgomeryFertilityCenter. com – Rockville, MD.
HOLISTIC WELLNESS COACH
Nutrition Lifestyle Digestion and More – Lisa@LisaThorne.Me – Text 269861-7565.
HYPNOSIS/YOGA
Toni’s Happy Hour Yoga and Holistic Wellness Center • 6504 Old Branch Avenue, Temple Hills, MD 20748 • 301-449-8664.
MEDICAL SPACE
Charles L. Feitel Company, 301-571-9333, www.medicalanddentalspace.com.
MENTAL HEALTH SERVICES
House Calls, LLC. 301-3466732. callingonbeth@gmail. com. www.CallingOnBeth.net.
Nutritional Healing Center, Thomas K. Lo, DC, MA, 240-651-1650, 7310 Grove Road, Suite 107, Frederick, MD 21704. doctorlo.com.
Good Health Nutrition Services,LLC – 1300 Mercantile Lane, Suite 129-37, Largo, MD 20774 – 301-341-4680 –www.ghnutritionservices.com
– We accept Insurance.
OPHTHALMOLOGY
NewView Laser Eye Center – Jacqueline D. Griffiths, MD – Reston (703) 834-9777 – Visit us at www.NewViewEye.com.
All Smiles Orthodontics – 9010 Lorton Station Blvd., Suite #260, Lorton, VA 22079 – www. AllSmilesBraces.com – For info call us at 703 337-4414.
To Order: Include you NAME, ADDRESS, PHONE, EMAIL AND WHAT HEADING YOU WISH TO BE LISTED UNDER, AND ANY SPECIAL OFFER OR TEXT TO INCLUDE. We will prepare a proof and email to you for approval.
Email your information to: info@yourhealthmagazine.net or Fax to: (301) 805-6808. Call (301) 805-6805 for assistance.
MARYLAND/WASHINGTON, DC OFFICE
4201 Northview Drive, Suite #102, Bowie, MD 20716 phone: (301) 805-6805 • fax: (301) 805-6808 • email: Info@YourHealthMagazine.net VIRGINIA OFFICE phone: (703) 288-3130 • fax: (703) 288-3174 • email: Publish@YourHealthMagazine.net

Loving Care, Janet Johnson, MD – 301-403-8808.
PHYSICAL THERAPY/ REHABILITATION
Active Physical Therapy. Various Locations across Maryland and Washington, DC. Active-physicaltherapy.com.
Largo Foot and Ankle Health Center, Ade Adetunji, DPM, 301-386-5453.
District Podiatry – Lubrina Bryant, DPM – 202-388-5303 – 1140 Varnum Street, Suite #30, Washington, DC 20017 – www.DistrictPodiatry.com.
Chevy Chase Home Care. Help at a time you need it most. Any Ages. Any situations. Any shifts. MD, DC, VA. www.CHCHhomecare. com 202-374-1240.
AA Urology – Odenton, 1106 Annapolis Road, Suite #250, Odenton, MD 21113 – Glen Burnie, 305 Hospital Drive, Suite #303, Glen Burnie, MD 21061 – Bowie, 4201 Northview Drive, Suite #201, Bowie, MD 20716 – West Campus Surgery Center, 7855 Walker Drive, Suite #102, Greenbelt, MD 20770 – Greenbelt , 7855 Walker Drive, Suite #100, Greenbelt, MD 20770.






SUBSCRIBING IS EASY:
1) Call 301-805-6805 with your name, contact info, and credit card payment for $24, or
2) Simply mail this form along with your check for $24:
Your Health Magazine 4201 Northview Dr. Suite 102 Bowie, MD • 20716




Now you can get the latest issues delivered directly to your home!
• Health articles and advice
• Doctors near YOU!
• Maryland, Washington, DC & Virginia editions
• Only $24 for a year’s subscription (12 issues)!













Your HEALTH Magazine publishes and distributes health information people need. We produce special sections to focus on particular health topics each month, and profiles of local health professionals. It Makes a Difference! Here’s what you can look forward to:
August WOMEN’S HEALTHCARE and WOMEN IN HEALTHCARE – All the information women need about health, plus profiles to highlight the important women involved in all areas of healthcare – from physicians and nurses to pharmacists and office support staff. Will include Profiles from your Local Women Healthcare Professionals.
September DENTAL HEALTH plus WEIGHT CONTROL, EXERCISE AND NUTRITION – Dentists, Cosmetic Dentistry, TMJ, Periodontics, Orthodontics, Oral Surgeons, Endodontics, and more! Gyms, nutrition and diet plans, weight loss, surgical alternatives, to help affect America’s out-of-control weight problems. Will include Profiles and Information from your Local Dental Health and Exercise and Nutrition Professionals.
October CANCER AWARENESS and HEALTH TECHNOLOGY – Professionals to help with prevention, early detection and surviving cancer. Information for men and women, and their families, and professionals who can provide help! Will include Profiles from your Local Cancer Health Professionals.
November BEAUTY, SKIN CARE, & GORGEOUS SMILES – Dermatology, Aesthetics, Body Contouring, Plastic and Cosmetic Surgery, the Latest Lasers, Anti-Aging, Weight Loss, Cosmetic Dentistry, Eye Wear, and more! Will include Profiles and Information from your Local Beauty and Dental Health Professionals.
December HEALTHY HOLIDAYS plus NEW YEAR, NEW YOU! – Professionals to help you and your family have a happy, healthy Holiday Season, plus professionals to help you lose weight, get fit, and eat better in the New Year! Will include Profiles from your Local Healthy Holiday & New Year Health Professionals.

If you are a Health Professional interested in including your

Submitted by ScholarsHub.net
As more people transition to remote work and online learning, maintaining physical and mental health in these environments is more important than ever. The convenience of working from home can also bring hidden risks—sedentary habits, poor posture, screen fatigue, and disrupted routines. Fortunately, with a few intentional adjustments, you can create
a healthier, more productive remote work lifestyle.
1. Design An Ergonomic Workspace
Your desk setup has a direct impact on your comfort and long-term health. Use a supportive chair, position your screen at eye level, and keep your feet flat on the floor. If possible, invest in a standing desk or alternate between sitting and standing throughout the day. Avoid work-
ing from bed or a couch for extended periods, as it can strain your neck and back.
2. Stick To a Routine
Remote work often blurs the lines between personal and professional time. Establish a daily routine that includes consistent start and end times. Take regular breaks—ideally every hour—to stand, stretch, or walk around. Build in time for meals, hydration, and a defined wind-down period to prevent burnout.
3. Move Your Body
Physical activity is essential for both physical and mental well-being. Even short bursts of movement—like a 10-minute walk, yoga session, or bodyweight exercises—can increase energy and improve focus. Schedule movement into your calendar just like a meeting to make it a non-negotiable part of your day.
4. Support Your Mental Health
Remote work can feel isolating, especially if you’re used to in-person interaction. Schedule regular virtual check-ins with colleagues or class-
mates, and make time for hobbies or social calls outside of work hours. Practice stress-reducing techniques like deep breathing, journaling, or guided meditation to stay grounded.
5. Practice Healthy Digital Habits
Too much screen time can cause eye strain, headaches, and disrupted sleep. Follow the 20-20-20 rule: every 20 minutes, look at something 20 feet away for at least 20 seconds. Avoid late-night scrolling and consider using blue light filters or glasses to reduce eye strain.
6. Nourish and Hydrate
Eating balanced meals and staying hydrated supports energy levels and concentration. Prepare healthy snacks in advance and keep a water bottle nearby to remind yourself to drink throughout the day.
Remote environments can be productive and healthy—if you’re proactive. Prioritizing wellness habits will not only improve your performance but also protect your long-term health as digital work and learning continue to grow.

