





















![]()























Bio-identical hormone replacement is a method of balancing and optimizing the hormonal status of men and women, offering a wide array of health benefits. This article will focus on treatment of women, though similar benefits are available to men with the use of testosterone.
All women will inevitably go through menopause gradually (though sometimes not so gradually) with the
cessation of producing estrogen progesterone and testosterone. Many but not all men will go through a similar process sometimes called andropause with reduced production of testosterone.
Bio-Identical Hormone Replacements achieved by using plant-base hormones that are chemically and molecularly identical to the hormones that are native to the human body. It is important to draw this distinction because many of the hormones that have been studied and that (legitimately) aroused concern about the safety of hormone therapy have been hormones that are synthetic and do not necessarily belong in the human body and do not promote optimal health, or are actually hormones from other mammals such as horses.
There are various means of hormone replacement. Sub-dermal pellet therapy offers a 3-5 month supply of hormone with one brief procedure using pellets about the size of a grain
Please see “Hormone,” page 62



At the Minimally Invasive Vascular Center (also known as MIVC) we have long been committed to addressing the vascular devastation that is rampant in our community. Each year cardiovascular disease is the world’s largest killer; killing more Americans than cancer. If you have painful legs, wounds that won’t heal, varicose veins, leg swelling, history of smoking, or have a family history of vascular problems and/ or are over the age of 50, you may suffer from poor circulation. Poor circulation may be responsible for causing erectile dysfunction in as much as 50 to 70 percent of men who develop the condition. Now we are happy to add expanded services! Our goal is to extend the healthy lifespan of our patients by using a comprehensive, integrative approach to achieve the most effective results. We believe that Beauty Is a Reflection of Health and Wellness. We want you to be as beautiful on the outside as you are healthy on the inside.
• Primary Care
• Wound Care
• Comprehensive Weight-Loss (including injectables)
• Aesthetics
• Age Spots
• Cellulite
• BOTOX® Cosmetic
• Fillers
• Microneedling w/PRP and Exosomes
• PRP Hair Restoration
• Spider Veins
• Body Contouring
• CoolSculpting
• Laser
• CoolTouch Laser
• Laser Hair Removal
• Laser Pigment Removal
• Laser Skin Resurfacing
• Laser Skin Tightening
• Skin Treatments
• Acne Scars
• PRP Injections
• Chemical Peels
• HydraFacial
• Microdermabrasion
• Sun Damage
• Vascular Procedures
• Arteriograms
• Atherectomy
• Balloon Angioplasty
• Radiofrequency Ablation – Veins
• Venogram
• Uterine Fibroid Embolization
• Coil Embolization
• Sexual Enhancement
• Hormone Therapy
• Gainswave
• P-shot/O-shot


The articles below are provided by local health professionals for the benefit of the public. Please contact them for advice and services.
4 | Safe and Effective: Bio-Identical Hormone Replacement | By Alan Weiss, MD
7 | Women’s Teeth and Gums | By Karl A. Smith, DDS, MS
8 | Women’s Urologic Health: Understanding, Prevention, and Care | By Mara Holton, MD
9 | Constipation, Allergies, and Picky Eating | By Ahmet Aybar, MD
10 | Why Sleep Matters More For Women | By Pascal Ngongmon, MD, MHA 10 | A Journey Of Healing | By Elambert Richardson
| Women and Dry Eye | By Renee Bovelle, MD 12 | Your One-Stop Solution For a Healthy Smile | Submitted By Total Dental Care
13 | Medical Adult Day Care Is a Great Option | By Maryland Association for Medicine Adult Day Services
14 | TMD From a Woman’s Perspective | By Jeffrey L. Brown, DDS
16 | All-On-Four Dental Implants | Submitted By Sivakumar Sreenivasan, DMD, MDS
17 | Understanding and Treating Edema, Inflammation & Fluid Retention | By Victoria Goldsten, HD, ND, LMT
17 | Women’s Top 10 Relaxation Tips For the Summer & All Seasons | By Linda Penkala, Author, LMT
18 | Missing Multiple Teeth? Full Arch Treatment Options | By Judy Yu, DMD, MBA
20 | Orthotics For Your Feet | By Howard Horowitz, DPM 21 | The Rewards Of Optimal Hydration This Summer | By Alicia Kovach, DC
22 | HRT Fights Middle-Age Weight Gain | Submitted by New Day Vitality Hormone Center
22 | Hormonal Havoc: What Every Woman Should Know About Midlife Changes | By Milca Kaplan, NP
24 | How Footwear Choices Affect Women’s Foot Health | By Gary Feldman, DPM, FACFAS
25 | The Many Benefits Of Manual Lymphatic Drainage | By Holly Dunbar, LMT, Herbalist RH (AHG)
25 | Obesity and Your Health | By Etwar McBean, MD, FACS
29 | Mindfulness For Stress and Anxiety | By Dr. Tiffany Daniel
33 | A Complete Contouring Solution | By Jonathan Johnson, MD
34-44 | Featured Women’s Health + Women In Healthcare
47 | How To Master Meditation With Acupuncture | By Brittney de Vicq, MAc, LAc
48 | Courageous Conversations Are a Gift To Those You Love | By Rachel Jordan, DNP, APRN
50 | Intense Feeling Of Anxiety| By Joyce Abramson, RNMS
50 | Medical Cannabis Use Rises Among Women | By Sharron Sample, CFO
56 | The Marvelous Fallopian Tubes | By Yemi Adesanya-Famuyiwa, MD
56 | Free Yourself From Heartburn | Submitted By Kensington Pharmacy
57 | Encouraging a Love Of Reading | By Janet V. Johnson, MD
58 | Chinese Medicine For Chronic Low Back Pain | By Quansheng Lu, CMD, PhD, LAc
58 | Corns and Calluses: Part 1 | By Ademuyiwa Adetunji, DPM
59 | More Than Just a Cleaning | Submitted by E. Taylor Meiser, DDS
59 | Why Sleep Is Different For Women | By Annapolis Asthma, Pulmonary & Sleep Specialists



Your Health Magazine is on a mission. There are far too many people, insured or not, who do not go to the doctor when they should, and in millions of cases, don’t know who they should go to, or why.
People are encouraged to buy a new house, car, cell phone or big screen TV, and those companies make themselves very visible and their products easily attainable.
Information about, and from, local healthcare providers is not easy to find, and many times those services are difficult to access.
Information and encouragement always lowers fear and trepidation about anything, and this is especially true in healthcare. While general information is available on web-sites, specific information from local providers is almost impossible for people to find. This is one of the key reasons chronic and episodic conditions are not cared for. It is our mission to:
Make A Difference By Empowering and Encouraging People To Live Healthier By Going To the Doctor When They Should.
There is a lot of evidence that the health professionals who participate in Your Health Magazine have helped many people over the years. We at Your Health Magazine salute you!
If you would like to find out how you can participate in one of our upcoming editions, please contact the office nearest you. SERVING MARYLAND & VIRGINIA Since 1990
G. Scott Hunter, Editor-in-Chief
MARYLAND & WASHINGTON, DC OFFICE One Town Center 4201 Northview Drive, Suite 102 Bowie, MD 20716 Office (301) 805-6805 • Fax (301) 805-6808 info@yourhealthmagazine.net
VIRGINIA OFFICE Office (301) 805-6805 info@yourhealthmagazine.net
© Your Health Magazine, 2025. The magazine and all of its contents are protected by copyright. For permission to reproduce any materials in this magazine, contact publish@yourhealthmagazine.net
EDITOR-IN-CHIEF
Gregory
Scott Hunter SALES & MARKETING CONSULTANT Mili Parra
Mahoney
By Karl A. Smith, DDS, MS ditions
A smile is the first impression that communicates a woman’s happiness and confidence; if you wish to keep your winning smile out in front, you will want to take special care of what’s behind it – your periodontal (gum) health.
Periodontal health is connected to a woman’s overall health. As your health care needs change throughout your life, during puberty, pregnancy, and menopause, your oral care needs may change.
Hormonal fluctuations during these times may affect your gum tissue and the underlying bone that support your teeth. These changes may increase your susceptibility to periodontal disease and require you to take special care of your oral health.
Gum Care During Puberty
When a young woman enters puberty, the production of sex hormones, such as progesterone and estrogen increase. Studies show that these elevated hormone levels may cause gum sensitivity and lead to a greater reaction to any irritation, including food particles and plaque. During this time, the gums can become swollen, turn red, and may feel tender.
Menstruation and Gingivitis
During menstruation, some women may experience gingivitis. This condition may cause gingival (gum) bleeding, redness or swelling of the gums, sores on the inside of the lip and cheek, a slight burning sensation or gum discomfort. It is important to maintain good oral health during these hormonal fluctuations. However, in some cases, periodontal treatment and antimicrobial agents may be recommended to ensure that your periodontal health is at its best.
Pregnancy and Gum Disease
If you are pregnant, or planning to become pregnant, you need to know that your periodontal health can affect your pregnancy and ultimately the health of your baby. Studies have shown that any infection, including gum infection during pregnancy, may put you at a significant risk of delivering a preterm, low birth weight baby.
If you are already pregnant and have been diagnosed with periodontal disease by your general dentist, a simple non-surgical procedure called scaling and root planning performed by an experienced periodontist may significantly reduce your chances of complications.
Medications Including Oral Contraceptives
Birth control pills may make you susceptible to oral health con-
that affect pregnant women. Synthetic hormones in the oral contraceptives are designed to mimic pregnancy and may cause your gums to turn red, bleed, and swell.
Also some commonly prescribed medications such as antidepressants and certain heart medications may cause dry mouth, increased plaque build-up and enlarged gum tissue. These conditions frequently result in bacterial infections under the gum line causing bleeding gums and bad breath. Make an appoint-
ment and speak with your periodontist if you are experiencing these symptoms.
During menopause or postmenopause, you may notice a change in the way your mouth looks or feels. You may, for example, experience discomfort including pain, burning sensations in the gums tissue, mouth sores or apthous ulcers, and altered tastes. Saliva substitutes are available from your periodontist to help

lessen the effects of a “dry” mouth that many women experience. Postmenopausal women may significantly reduce tooth loss by controlling their periodontal disease, especially if diagnosed with osteoporosis.
Diligent at-home oral hygiene, professional cleanings, and periodontal evaluations are an essential part of your overall health care.
Make an appointment for a periodontal evaluation with an experienced periodontist today.

– Dental Implants To Restore Your Beautiful Smile
– Caring & Kind Dentist & Team
– State-of-the-Art Equipment
– Laser Periodontic Therapy
– Affordable Gum Treatment
– Insurance Accepted & Filed
– Ultra-Sterile Environment
– No Referral Needed
– Comfortable Sedation Dentistry


Our patients mean the world to us (and they love to refer to us as friends and family). My team works together to ensure your visit is enjoyable, and that your treatment is gentle and pain-free. We are deeply committed to help you prevent and treat periodontal (gum) disease, and to enhance your smile to improve your overall health.




By Mara Holton, MD Anne Arundel Urology
Urologic health is a vital component of overall well-being, yet it is often overlooked—especially when it comes to women. Women’s urologic health involves the care and maintenance of the urinary tract and reproductive organs, and addressing the unique challenges that women face in this area is essential
for long-term health and quality of life.
Common Urologic Conditions In Women
1. Urinary Tract Infections (UTIs): UTIs are among the most common urologic issues affecting women. Due to the shorter length of the female urethra, bacteria can more easily reach the bladder, leading to infections. Symptoms include a burning sensation during urination, frequent urges to urinate, and cloudy or strong-smelling urine. Prompt treatment with antibiotics and good hygiene practices can help prevent recurrent infections.
2. Overactive Bladder (OAB):
OAB is characterized by a sudden and frequent need to urinate, sometimes accompanied by leakage. It can be caused by factors like weakened pelvic muscles, nerve damage, or hormonal changes. Treatment options include lifestyle modifications, pelvic floor exercises, medications, and in some cases, surgical interventions.
3. Urinary Incontinence: Incontinence, or the involuntary loss of urine, affects women of all ages but becomes more common after childbirth and menopause. Stress incontinence (leakage during physical activity) and urge incontinence (a sudden, intense need


to urinate) are the most common types. Treatments range from physical therapy and bladder training to medications and surgical procedures.
4. Interstitial Cystitis (IC): Also known as painful bladder syndrome, IC is a chronic condition causing bladder pressure, pain, and frequent urination. Though its exact cause is unclear, treatments focus on symptom relief through dietary changes, physical therapy, medications, and bladder instillations.
5. Pelvic Organ Prolapse: This condition occurs when the muscles and tissues supporting the pelvic organs weaken, causing organs like the bladder, uterus, or rectum to drop into the vaginal canal. Symptoms include pressure, discomfort, and difficulty with urination or bowel movements. Treatment may include pelvic floor exercises, pessaries, or surgery.
Prevention and Care
Maintaining urologic health involves a combination of lifestyle choices, preventive care, and regular medical check-ups. Here are some key strategies:
• Stay Hydrated: Drinking enough water helps flush bacteria from the urinary tract and supports overall kidney function.
• Practice Good Hygiene: Wiping from front to back, wearing breathable cotton underwear, and avoiding harsh soaps can reduce the risk of infections.
• Strengthen Pelvic Floor Muscles: Kegel exercises can help prevent incontinence and support bladder control.
• Maintain a Healthy Diet: Limiting bladder irritants like caffeine, spicy foods, and acidic beverages can help manage symptoms of overactive bladder and IC.
• Regular Medical CheckUps: Annual visits to a gynecologist or urologist can help catch potential issues early and ensure comprehensive care.
When To See a Urologist
Women should consult a urologist if they experience recurring UTIs, incontinence, pelvic pain, or any other persistent urinary symptoms. Early diagnosis and intervention can prevent complications and improve quality of life. Women’s urologic health is an essential but often under-discussed aspect of medical care. By understanding common conditions, taking preventive measures, and seeking timely medical advice, women can maintain better urinary health and overall well-being.

By Ahmet Aybar, MD Annapolis Pediatric Gastroenterology and Nutrition
When it comes to your child’s health, no one notices the subtle signs of trouble more quickly than a parent—especially moms. If your child struggles with chronic constipation, food allergies, or extreme picky eating, it’s easy to dismiss it as a phase. But sometimes, these common issues are signs of a deeper digestive problem.
As a pediatric gastroenterologist, I often see children after years of struggling with avoidable discomfort. Understanding which symptoms are red flags can help your child get relief sooner and avoid more serious health issues down the road.
Constipation is one of the most frequent concerns I see, and it’s often more complex than just diet. If your child goes more than a few days without a bowel movement, regularly complains of belly pain, or avoids using the bathroom, it may indicate a functional GI disorder—or even early signs of something like irritable bowel syndrome (IBS) or a motility issue.
Long-term constipation can also lead to painful stool withholding, emotional distress, and even changes in bladder function. If you’ve tried increasing fiber and fluids without long-term improvement, it’s time to involve a specialist.
Many children with undiagnosed food allergies or intolerances experience ongoing digestive issues like bloating, diarrhea, reflux, or poor growth. Conditions like
eosinophilic esophagitis (EoE) or celiac disease can present subtly, with symptoms often written off as “just sensitive stomachs.”
If your child avoids certain foods, complains of pain after eating, or seems unusually fatigued, it’s worth evaluating for food-related GI disorders. Early diagnosis makes a big difference in managing symptoms and protecting long-term health.
Most toddlers go through phases of selective eating, but extreme pickiness—especially when it’s tied to textures, food fears, or gagging—can signal underlying reflux, oral-motor issues, or even sensory GI disorders.
Children with chronic discomfort from eating may avoid food as a way to cope. In these cases, simply encouraging “one more bite” can actually increase anxiety around meals. A specialist can help rule out physical causes and work alongside feeding therapists to support healthy
eating habits.
If your child’s digestive symptoms persist for more than a few weeks, impact their growth, or interfere with daily life, it’s time to talk to your pediatrician—and ask about a referral to a pediatric GI specialist.
You know your child best. If something feels off, trust your instincts and don’t wait. Early intervention often leads to better outcomes and happier, healthier kids.




At Annapolis Pediatric Gastroenterology and Nutrition, we specialize in diagnosing and treating digestive challenges in children from infancy to early adulthood. Our board-certified team, led by Dr. Ahmet Aybar, delivers compassionate care tailored to your child’s unique needs.
Comprehensive Services: Treatment for conditions such as Crohn’s Disease, GERD, Ulcerative Colitis, Celiac Disease, and more.
Trusted Expertise: Procedures performed at Anne Arundel Medical Center by Dr. Aybar, a renowned pediatric gastroenterologist.
Family-Centered Care: We take the time to listen, explain, and provide guidance for every step of your journey.

What if one clinic could transform how you sleep, feel, and look—starting now?
At Optimal Sleep & Weight Loss Clinic, we combine cutting-edge medicine with personalized care to help you reclaim your health, confidence, and energy.
Why Patients Are Choosing Us:
Get Results That Show – Sleep Through the Night Feel Sexy, Strong, and Energized – Enhance Your Look Personalized Attention
Let us guide you to the healthy, vibrant version of yourself – with a plan built just for you.


MD, MHA
Sleep is not just a time to rest— it’s a critical pillar of health, especially for women. From hormone regulation to immune support, quality sleep plays a profound role in nearly every aspect of a woman’s well-being.
Hormonal Balance
One of the most important benefits of sleep for women lies in hor-






Welcome to our new massage therapist, Kelsey! Schedule a massage with
monal health. During sleep, the body regulates hormones like cortisol, insulin, and those related to the menstrual cycle. Inadequate sleep can disrupt this balance, potentially worsening PMS symptoms, affecting fertility, and contributing to weight gain.
Mental Health and Mood
Women are more likely than men to experience anxiety and depression, both of which are closely linked to poor sleep. Regular, restorative sleep helps regulate mood and lowers stress levels. It also supports cognitive functions like memory, decision-making, and concentration—key components for women juggling multiple roles at work and home.
Weight Management and Metabolism
Sleep has a direct impact on metabolism. Lack of sleep can increase hunger
Please see “Sleep Matters,” page 63
Elambert Richardson’s journey to founding Elon Roshell Day Spa & Health is a remarkable story of resilience, healing, and dedication to helping others. Richardson’s path began with a profound personal struggle and evolved into creating a sanctuary of well-being that includes innovative treatments like a unique salt cave.
Richardson, once a preschool teacher, faced a debilitating injury that altered the course of her life. Despite extensive physical therapy, her pain persisted, leading to depression and a diagnosis of fibromyalgia. Her doctor presented her with a stark choice: find a way to live or succumb to her condition. This critical moment propelled Richardson to seek healing beyond conventional methods.
Richardson shared another poignant aspect of her struggle: the hostile work environment that led to her depression and ultimately, PTSD. She recounts instances of mistreatment, including being ostracized by colleagues and subjected to demeaning messages. Despite enduring chronic pain and emotional distress, Richardson finds solace in helping others and is embarking on a journey of healing by sharing her story.


A pivotal turning point came with her reading of “The Ministry of Healing,” a book that highlighted the therapeutic power of helping others. This revelation ignited her determination to overcome her depression and explore a career in healthcare. Richardson began volunteering at her children’s school, pursued higher education, and ultimately found her calling in massage therapy. Overcoming Adversity Richardson’s journey was further challenged by the COVID-19 pandemic, which forced her business to close for 15 months. During this time, she also contracted the virus, requiring oxygen therapy. Remarkably, this treatment pro-
Please see “Elon Roshell,” page 62


Choose Adventist Medical Group Primary Care in Fort Washington, Maryland, to provide a full range of primary care services for adults.
Learn to better manage your health and prevent illnesses with personalized care from our experienced, primary care providers. Our specialists in family medicine and internal medicine work as a team to deliver expert care when you need:
• Same-day Sick Visits
• Women’s and Men’s Health and Wellness Exams
• Health Physicals, Health Maintenance and Preventive Care
• Geriatric (Senior) Wellness Exams
• Vaccinations and Immunizations, including Flu Shots
• Health Management for:
• Asthma and Allergies
• High Blood Pressure
• High Cholesterol
• Diabetes
• Heart Disease
You also benefit from coordinated care that helps you effectively handle all aspects of your health—from preventive medicine and preoperative appointments to management of chronic health conditions.
To schedule an appointment, please call 240-724-6018
10709 Indian Head Highway, Suite D1 Fort Washington, Maryland 20744 AdventistMedicalGroup.org

By Renee Bovelle, MD
Envision Eye and Laser Center
Dry eye syndrome is among the most common eye conditions. In healthy eyes, a thin layer of tears coats the outside surface of the eye, keeping it moist and washing away bits of debris that might fall into the eyes. Dry eye syndrome occurs when the eye doesnt make enough tears, or doesnt make effective tears, or the tears that it does make evaporate too quickly and leave the eye dry and vulnerable.
People with dry eyes often experience dryness, stickiness and stinging or burning of their eyes. The eyes are often red and irritated. Sometimes the eyes water excessively in an effort to soothe the irritation, but these reflex

tears are usually not adequate to fix the problem, and all they do is spill over the eyelid and run down the cheek.
The cause is unknown, but the disease becomes more common as we age. Dry eyes affects women 2 3 times more often than men. This is thought to be related to hormones. Male hormones seem to be good for the tear glands, and female hormones seem to be bad for the tear glands. Women who were on hormone replacement therapy (HRT) after menopause are at higher risk for developing dry eyes. Compared to women not receiving HRT, women using estrogen alone were 70% more likely to develop dry eyes, and women on both estrogen and progesterone were 30% more likely to develop dry eyes. One in 20 women over the age of 50, and one in 10 over the age of 75 have dry eyes. This amounts to over 3.2 million women with dry eyes in the U.S. alone.
Patients with Sjgrens syndrome suffer from dry eyes and dry mouth, because their bodies mistakenly produce small molecules that attack their moisture-producing glands, in addition to causing other problems, such as
Please see “Dry Eye,” page 66








Maintaining optimal dental health is crucial for overall well-being, and finding a dental office that offers comprehensive care under one roof is a game-changer. Total Dental Care is a well-established dental practice that takes pride in providing detailed and comprehensive services in various specialties, ensuring patients receive topnotch care for their unique dental needs.
General Dental Services: Total Dental Care excels in offering a wide array of general dental services, including routine check-ups, cleanings, and preventive care. Our experienced team focuses on early detection and intervention to prevent dental issues from escalating.
Specialized Services: Whether you require orthodontic adjustments, periodontal treatments, Invisalign, dental implants, prosthodontics, oral
surgery, extractions, root canals and endodontic treatments, or restorative and cosmetic dentistry, Total Dental Care has you covered. Our specialists are experts in their respective fields, ensuring you receive tailored treatments for your specific dental concerns.
Cutting-Edge Technology: Total Dental Care stays at the forefront of dental technology, offering services such as digital intra-oral cameras, cone-beam CT scanners, and teethin-a-day. Our commitment to utilizing advanced techniques ensures effective and efficient treatments while minimizing complications.
Sedation Options: Understanding the anxiety some patients may feel, Total Dental Care offers laughing gas, oral sedation and IV general anesthesia options. Our goal is to create a comfortable and stress-free environment, catering to the individual needs of each patient.
Please see “Healthy Smile,” page 63
Submitted By Maryland Association For Medical Adult Day Services
Caring for a loved one with intellectual or developmental disabilities can be deeply rewarding—but it can also be exhausting, overwhelming, and emotionally complex. Many families find themselves struggling to provide the best care while juggling work, home life, and other responsibilities. That’s where Medical Adult Day Care Centers can make a meaningful difference—for both participants and their caregivers.
What Do Medical Adult Day Care Centers Offer? Medical Adult Day Care Centers provide a safe, supportive environment for adults with physical, intellectual, or developmental disabilities. These centers are staffed by trained professionals who assist with essential daily tasks like eating, toileting, mobility, and medication management. Rather than staying home all day, participants can engage with a community of peers— building independence, routine, and confidence. For caregivers, this means peace of mind and the opportunity to take care of their own needs.
• More Than Care: Building a Sense of Belonging – Beyond essential support, these centers offer enriching, structured activities like games, music, crafts, and supervised group outings. These experiences foster friendships, reduce isolation, and promote emotional well-being. Social connection is vital—especially for individuals with developmental disabilities who may otherwise feel excluded. With proper support and supervision, outings become joyful opportunities to engage safely with the larger community.
• Support for Behavior and Mental Health – Many individuals with intellectual or developmental disabilities experience behavioral or emotional challenges that make participation in traditional programs difficult. Staff at these centers are trained to handle these behaviors with compassion, redirection, and proven techniques that prioritize dignity and respect. Many centers also have on-site social workers who offer additional emotional and mental health support for participants and their families.
• Health Monitoring For Added Peace
of Mind – Most centers include nursing staff who monitor participants’ health and communicate with families and doctors when concerns arise. This regular check-in helps identify issues early, reducing the risk of emergencies and unnecessary hospital visits.
• A Win-Win for the Whole Family! Medical Adult Day Care isn’t just care – it’s a partnership. It offers your loved one a vibrant place to grow and thrive, while giving you the space to rest, recharge, and focus on your family as a whole.
Curious if it’s the right fit? Consider visiting a center near you. Seeing the environment and talking to staff may give you the reassurance—and the hope—you’ve been looking for.

By Jeffrey L. Brown, DDS Sleep & TMJ Therapy
Believe it or not, most of the research out there shows that women are more prone to TMD (Temporomandibular Disorders) issues than men. There are a few theories on this that might be interesting to investigate. First of all, women are regarded as generally being more sensitive than men and even more nurturing. This
might explain why they would feel more pain or be more aware if there is a problem with the body. And being the nurturer in the family means being more aware of not only their own pain, but the pain of others. Maybe this is why the new patients that we see are mostly women.
Another factor with women experiencing more TMD is that the disease process known as EDS (Ehler Danlos


Syndrome) is far more common in women than men. In fact, the most common subtype of EDS (hEDS- hypermobile EDS) shows that 90% of the patients are women. This number is staggering. And with the more common forms of EDS, it turns out that the prevalence is roughly 70% women and only 30% men have it. Again, this is a remarkable difference that exists in a disease process that greatly affects
Dr. Jeffrey Brown has limited his practice to focus only on TMJ Disorders, Craniofacial Pain Management and Sleep Apnea. By fixing slipped discs in the jaw joints, Dr. Brown can significantly reduce the pain patients experience in the head/neck region and other symptoms associated with jaw joint problems. Sleep & TMJ Therapy may be able to improve the quality of life for you or a loved one – we encourage you to contact us with any questions or concerns.

TMD. With EDS the ligaments and joints are all looser than they should be so the discs on top of the jaw bones (the condyles) are far more likely to slip off or become displaced. So along with joint laxity, the EDS patient has to contend with a much higher risk of developing TMD problems. According to many of the doctors who treat EDS, joint laxity is a much more common disorder (disease) than previously thought and is far more prevalent amongst our people than anyone really realizes. What this means for the TMD patient is that they have another problem to contend with potentially and a higher need for treatment exists. Maybe this is why so many people are hurting, have displaced discs, and are not all that aware of the problem? Many people show up at the doctor’s office not really sure why they are aching, have headaches, jaw pain, neck pain, or even tremors when all along it’s a TMD problem that can and should be dealt with.
• Certified Fellow of the American Academy of Craniofacial Pain
• Over 30 Years Experience
• Graduate of Georgetown School of Dentistry

“Dr. Brown and his staff are absolutely wonderful. I was diagnosed with Dystonia. I could not turn my head and had a ton of pain. My doctors offered no help and no advice besides Meds and Botox. Since having the appliance I have NO pain and I can turn my head. I would highly recommend them to anyone. I feel Dr. Brown and his staff really care about their patients and helping them to get better. They do not just numb the symptoms but fix the problem. Thank you from the bottom of my heart. I feel like the old me again!”
- D. Thomas
“My daughter has been treated by Dr. Stack and Dr. Brown for the last 2 1/2 years, and we are very fortunate to have found them. Prior to that she was being treated by a neurologist at a Children’s hospital. She was on medications for tics and associated muscle pain, OCD/repetitive thoughts, sleeplessness and more (all possibly associated with Tourettes). Drs. Stack and Brown installed spacers to alleviate pressure on nerve bundles in the jaw, and subsequently braces to complete the process. Her symptoms have diminished significantly. She is off medication, her tics have all but disappeared, she can concentrate better in school, and she is once again cheerful and relaxed.” - Susan
For more reviews, search “Sleep & TMJ Therapy” on Google!
Women also have the added problem as they age, their estrogen levels begin to drop. During menopause the lower levels of estrogen predispose the jaw joints to degenerate and this can increase alveolar bone loss. The bone loss means the structure of the jaw joint is breaking down which will mean the disc can slip off the condyle more readily and TMD issues begin to take place: headaches, neck pain, etc. Regardless of the situation, it does seem that women are more prone to TMD problems and should have a proper professional diagnose their condition and treat it before it becomes more complicated and even more painful. Seek out a doctor who treats the TMD problem on a daily basis and take charge of your life!
Back pain is the second most common reason people visit physicians in the US, with neck pain close behind. The spine and adjacent tissues are pivotal in nearly all major bodily movements.
Chiropractic services are used most often to treat neuromusculoskeletal complaints, including but no limited to back pain, neck pain, pain in the joints of the arms or legs, and headaches.





Our Doctors are Nationally FMSCA Certified. Done by appointments only. Call today to schedule! Drug and Alcohol Testing also Available.
Since opening in 2003, Winters Chiropractic & Physical Therapy has remained dedicated to providing expert chiropractic, physical therapy, and DOT/CDL services. Our doctors provide tailored treatments that ensure you make the most gains at a comfortable, steady pace. The ultimate goal of any chiropractic or physical therapy program is to restore your physical health to its previous form. With our small practice, we have the advantage of maintaining personal relationships without compromising our ability to provide advance care.

The Only Non-invasive Laser Device With FDA Approved, IRB, and Clinically Proven Results For: Fat Reduction, Aesthetics, Cellulite Elimination, Weight Reduction, and Inch Loss.

• Natural, safe, laser light energy is pulsed and absorbed by the subcutaneous tissue.
• Supercharges the body’s metabolism through ATP synthesis to burn fat as energy.
• Waste products are expelled from the body via sweat, urine and respiratory exhaustion.
• The body continues to burn fat for up to 4 hours after treatment.
• Collagen and elastin production is increased within the skin layers to rejuvenate and repair skin cells addressing cellulite, skin laxity and stretch-marks.






Submitted By Sivakumar Sreenivasan, DMD, MDS Dental Implant Center of Rockville
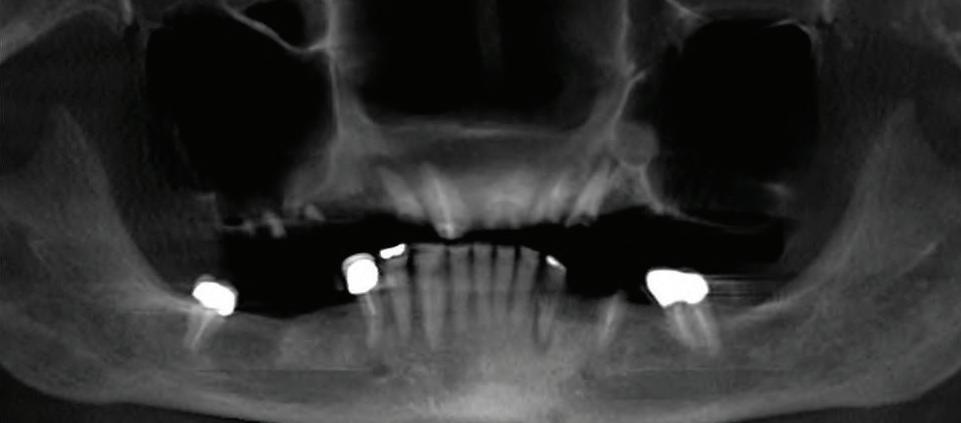
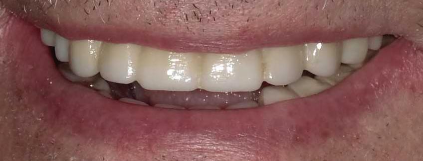
Can just four implants replace all of the teeth on the top or the bottom of your mouth? Thanks to advances in dental implant technology, that answer is a resounding yes.
Tooth loss is extremely common among adults, especially as we age. Rather than living with the discomfort and hassles of dentures, many people are opting for what is called “all-onfour” dental implant restoration.



An implant is a small titanium



screw that fits inside your jawbone and replaces the root-part of a missing tooth. Minor surgery is required to insert the implants. Once the implant is in place, a crown is attached to give you a highly realistic-looking and functional prosthetic tooth.
You do not need a dental implant for each and every one of your missing teeth. All you need is four precisely placed implants on the top of your mouth, and four on the bottom, to restore your full smile. That’s the beauty of the all-on-four. And because the implant is made of titanium, it has the unique ability to fuse to living bone and function as part of it. So eventually, the dental implant becomes part of the jawbone and serves as a strong, longlasting foundation for your new teeth.
Besides ensuring that your implants are permanently fixed in place, this bone fusion has another important benefit: it prevents future bone loss in the jaw. This helps to maintain a more youthful facial structure – and better
Please see “All-On-Four,” page 62

By Victoria Goldsten, PhD, LAc HD, ND, LMT, Washington Institute of Natural Medicine
Swelling, inflammation, edema, fluid retention, and lymphedema are often confused due to their overlapping symptoms. While related, they differ in cause and treatment.
• Edema is fluid buildup in tissues, often called water or fluid retention.
• Swelling is the visible result of that buildup.
• Inflammation is the body’s healing response—causing redness, heat, and pain after injury, surgery, or infection.
• Lymphedema is a buildup of lymphatic fluid caused by a damaged or blocked lymphatic system, often affecting one limb or region.
• Fluid accumulation may form as pockets or diffuse through tissues, depending on the underlying issue.
Treatment options range from conventional interventions like antiinflammatory medications, elevation, physical therapy, and cold therapy, to more holistic and natural approaches.
At the Washington Institute of Natural Medicine, a Natural Health Evaluation identifies underlying imbalances contributing to inflammation and fluid retention. This in-depth, holistic exam uses techniques such as iridology, pulse reading, face observation, kinesiology, and remedy testing. Based on findings, a personalized plan is created that may include homeopathic or herbal remedies.
• Manual Lymphatic Drainage (MLD) is a gentle, specialized massage technique that promotes the flow of lymphatic fluid. It helps reduce swelling, detoxify tissues, and support immune function. MLD is especially effective post-surgery or during flare-ups of chronic conditions.
Inflammatory conditions include arthritis, sinusitis, colitis, asthma, bronchitis, lupus, psoriasis, Crohn’s disease, and post-surgical swelling. These issues can cause discomfort, disrupt daily life, and interfere with healing.

By Linda Penkala, Author, LMT Speaker
Making a living relaxing people as a massage therapist offers a unique perspective on the value and benefits of relaxation. Witnessing the gentle shift of a client after a massage, allows for the peaceful integration of body, mind, and spirit. It all begins with women making intentional choices to take time to pause and be still. The opposite of this word is strain, tension, pressure, and stress,
• Ultrasound-assisted drainage can enhance lymphatic therapy, targeting areas of deep tissue inflammation and improving circulation.
• Glymphatic drainage focuses on the head and neck, combining cranial sacral therapy, pressure points, and optional ultrasound to ease facial swelling, sinus congestion, and brain fog.
• Organ flushing is a hands-on abdominal therapy that supports detoxification by helping clear stagnant fluids and reduce soft tissue inflammation.
These therapies are designed to complement medical care while addressing the root causes of inflammation and fluid buildup—supporting lasting, whole-body healing.

Integrative Homeopathic and Holistic Doctor, Naturopathic Doctor (Traditional Method VA, WV) Licensed Acupuncturist (WV), Certified Complementary and Alternative Medicine Nurse, Certified Holistic Nurse, Licensed Practical Nurse (DC, MD, WV and VA Compact States with MD), Licensed Massage Therapist (DC, MD, WV), Certified Manual Lymphatic Drainage
For Questions or Appointments
Contact Our Call Center At: 202-686-8202 or 202-237-7681 or 301-538-9540
WashingtonInstituteofNaturalMedicine.com
Your Wellness Partner For Life
Columbia, MD | 301-802-7745 | Lpenkala96@gmail.com
all of which may be the norm for many. Relaxation is key to embrace because all the above negative signs are reflected in the balance, health, and peace within one’s life, or not. What follows are positive, moments to pause, pay attention to stress levels, and have the confidence and clarity to move forward, to lessen the impact on heart health.

1. Breathe – countless techniques offer a space of calm and focus right where you are, all to make a shift. Box breathing, https://blog. calm.com/blog/box-breathing, also
Please see “Relaxation Tips,” page 62
Feel your best self within the safe space of relaxation, allowing stress to melt away! Breath in calming essential oils to reset and realign your body, mind, soul connection.
Linda Penkala, Author, LMT, Holistic Healthcare Presenter, and Wellness Catalyst shares her passion and heart for holistic lifestyle choices through:
• Presentations
• Massage Therapy
• Aromatherapy
• Wellness Articles
• Breathwork for Healing
• Her book, The Pause to Relax Ladies for Robust Heart Health


CORPORATE OR COMMUNITY PRESENTATIONS:
• Wise Self Care for Life
• Nine Pillars to Prevent Heart Disease
• Wise Heart Health for Women
• Navigating New Waters of Wellness
• Tapping with Essential Oils for Health
LIVE ZOOM PRESENTATIONS
• Mindful Meditation Massage (at night, pre-sleep)
• Mindful Massage and Stretching (at desk)
• Aromatherapy 101
• Essential Oils and Your Pet
• Wise Self Care for Life
• Wise Heart Health for Women
https://lifewave.com/lpenkala • Visit our new website! www.lindapenkala.com @pausetorelax The Pause to Relax



Optimum Health for Life Linda Penkala




A dental arch is either the top or bottom set of teeth in your mouth. When all or many teeth are missing or get to a stage where substituting them is recommended, then a full arch replacement becomes necessary. This can replace a full arch, either in the lower or upper jaw. There are more options available now than ever for full arch treatment.
Removable Dentures
Before the introduction of dental implants, people who were missing many teeth and needed a full arch replacement had few options aside from unstable, ill-fitting and uncomfortable dentures. Dentures often require adhesives, which can be unpleasant and fail to come close to initiating the form and function of natural teeth.
The upside is that dentures are relatively inexpensive, and they are easy to remove and clean.
Four Implant Overdenture (Snap On/Removable)
Stabilized overdentures look like traditional, removable dentures. However, there are four locators on the under-side of your “plate,” which attach on top of implant abutments. Snap on dentures essentially clip into place. There’s no rocking, shifting, or rubbing, because your implants keep




Camps
pediatric dentistry services for your child’s dental needs including:
• Dental Care for Children of All Ages (Infants to Adolescents)
• Accepts most insurance plans
• Preventive Care: Gentle cleanings, oral hygiene guidance, sealants, and nutritional counseling
• Emergency Care: Urgent treatment for broken teeth, trauma, and dental pain
• Specialized training in caring for patients with special healthcare needs
• Hospital sedation available for eligible patients

• Treatment of tooth decay with appropriate restorations: composite (white) fillings, crowns, nerve treatments, and extractions
• Educational daycare and classroom visits available upon request
• Diverse team happy to share their languages: Spanish, Italian, Farsi, Arabic, and Portuguese (Translation service available upon request)
• “Camps Cares” – community engagement and philanthropy initiative


By Howard Horowitz, DPM Bowie Foot & Ankle
Orthotics are shoe inserts that are intended to correct an abnormal, or irregular, walking pattern. Orthotics are “arch supports.” They perform functions that make standing, walking, and running more comfortable and efficient, by altering slightly the angles at which the foot strikes a walking or running surface.
Podiatrists prescribe orthotics as a conservative approach to many foot problems or as a method of control after certain types of foot surgery. Orthot-


6701 Democracy Blvd., Suite 300 Bethesda , MD 20817

ics are highly successful and practical.
Orthotics take various forms and are constructed of various materials. All are concerned with improving foot function and minimizing stress forces that could ultimately cause foot deformity and pain.
Foot orthotics fall into three broad categories: those that primarily attempt to change foot function, those that are primarily protective in nature, and those that combine functional control and protection.
The so-called rigid orthotic device, designed to control function, may be made of a firm material such as plastic or carbon fiber, and is used primarily for walking or dress shoes. Rigid orthotics are chiefly designed to control motion in two major foot joints, which lie directly below the ankle joint. These devices are long lasting, do not change shape, and are usually difficult to break.
Strains, aches, and pains in the legs, thighs, and lower back may be
Please see “Orthotics,” page 62

As the sun shines brighter and outdoor activities beckon, prioritizing your fluid intake becomes paramount. Adequate hydration can have a profound impact on your overall wellbeing, weight management, and even enhance your athletic performance.
But how much water is enough, you might wonder? While most individuals should aim to consume
a gallon of water daily, those residing in warmer climates or engaging in frequent physical activity should increase their intake. A great way to start is by substituting all other beverages with water. Additionally, keeping a bottle of water in your car and having one readily available at your desk can make achieving this goal effortlessly attainable.
Discover Some of the Many Benefits of Optimal Hydration:
1. Energize Your Metabolism: Proper hydration kick-starts your metabolism, ensuring efficient calorie burn and nutrient absorption, including vital vitamins such as B and C.
2. Enhance Digestion: Water acts as a solvent that aids in breaking down food, facilitating the digestion process. It assists in the conversion of complex nutrients like starches, triglycerides, and proteins
Please see “Hydration,” page 63









Feel Like Something’s Off? You’re Not Alone. At MetroBest Health, we specialize in identifying and treating the real root causes of fatigue, weight gain, low libido, mood swings, and thinning hair—especially in midlife women and men.
If you’ve been dismissed, misdiagnosed, or told “it’s just aging,” it’s time for a second opinion. Virtual and In-Office Appointments Available Book Online at MetroBestClinic.com Or Call/Text: 202-754-8877 9650 Santiago Rd #2, Columbia, MD 21045
wait—your

Submitted by New Day Vitality Hormone Center
Weight gain and changes in body composition are prevalent among postmenopausal women and contribute to increasing health risks as women age. The tendency to add fat around the waist is associated with insulin resistance, metabolic syndrome and tumor growth. All are particularly dangerous.
“Weight gain and body fat distribution changes are responsible, at least in part, for the greater risk of cardiovascular disease in postmenopausal women . . . ,” says Ekta Kapoor, M.B.B.S., a consultant with the Women’s Health Clinic; General Internal Medicine; and Endocrinology, Diabetes, Metabolism, and Nutrition at Mayo Clinic.
But, according to a study in the Journal of Clinical Endocrinology and Metabolism (May 2018), menopause
hormone replacement therapy (HRT) is associated with markedly lower visceral fat, BMI and torso fat. Considering CVD is the leading cause of death among women, understanding the role of hormones in these body changes are crucial.
Many of the common symptoms of menopause facilitate weight gain, “including vasomotor symptoms, mood disorders, sleep disturbances and musculoskeletal complaints,” Alice Y. Chang, M.D., a consultant with Endocrinology, Diabetes, Metabolism, and Nutrition at Mayo Clinic.
Vasomotor symptoms — hot flashes and night sweats — are the most common complaint among women going through the menopause transition. Estrogens, the primary female sex hormone, helps maintain body temperature. When estrogen levels drop, the body responds by releas-
Please see “Weight Gain,” page 66

By Milca Kaplan, NP Metro Best Health
Midlife is a powerful season in a woman’s life—full of experience, resilience, and self-awareness. But it can also bring unexpected physical and emotional changes that leave many women wondering, What’s happening to me?
If you’ve noticed stubborn weight gain, disrupted sleep, brain fog, or mood swings, you’re not alone. These changes often aren’t “just aging”— they’re signs that your hormones are shifting, and your body is asking for support.
Estrogen, Progesterone,
As women enter perimenopause and menopause, levels of estrogen and progesterone begin to decline. These hormones don’t just regulate fertility—they impact everything from brain function and metabolism to mood and energy. When they fluctuate, you may feel like you’re no longer in sync with your own body.
Common symptoms include:
• Increased belly fat, even without changes in diet
• Trouble falling or staying asleep
• Mood changes, anxiety, or feeling “on edge”
• Fatigue that doesn’t improve with rest
• Hot flashes or night sweats
• Difficulty focusing or forgetfulness Your Thyroid May Be Involved, Too
Many midlife women also experience thyroid changes, especially when hormonal shifts throw the endocrine system out of balance. Low thyroid
Please see “Hormonal Havoc,” page 63



Dr. Gary Feldman is a surgeon and podiatrist specialized in the treatment of various orthopaedic conditions of the foot and ankle.




By Gary Feldman, DPM, FACFAS The Center For Advanced Orthopaedics
Footwear plays a significant role in both style and self-expression, but it also has a major impact on foot health— especially for women. Unfortunately, many popular shoe styles can contribute to pain, deformity, and long-term joint issues if worn regularly. Understanding how different types of footwear affect the feet can help prevent problems and reduce the need for more serious interventions down the road.
High heels are among the most problematic shoes when it comes to foot health. Elevating the heel shifts the body’s weight forward, placing excessive pressure on the forefoot and toes. Over time, this can lead to issues such as bunions, hammertoes, neuromas,
and even stress fractures. High heels also shorten the Achilles tendon and strain the ankle, which may contribute to balance issues or ankle injuries.
Flats, while often assumed to be a healthier choice, can also pose risks if they lack proper support. Shoes with thin, unsupportive soles do little to absorb shock or stabilize the arch. This can lead to plantar fasciitis (inflammation of the heel and arch), arch collapse, and chronic heel pain. Flats without cushioning or structure can also aggravate existing foot conditions.
Flip-flops are another common culprit, especially in warmer months. These sandals typically offer no arch support, cushioning, or heel stability. The lack of structure causes the foot to work harder to stay in the shoe, increasing the risk of tendinitis, foot fatigue, and injury. Extended wear can lead to problems in the knees, hips, and back due to altered gait and poor alignment.
Choosing shoes with supportive soles, a wide toe box, proper arch support, and a low heel can significantly reduce foot strain. Rotating footwear and avoiding long hours in unsupportive shoes can also help protect foot health.
In cases where pain or deformity
Please see “Flip-Flops,” page 62


By Holly Dunbar LMT, Herbalist RH (AHG)
Moon Bodywork and Botanicals
Manual Lymphatic Drainage is a specialized massage technique that aims to decongest tissues affected by a sluggish lymphatic system due to surgery, illness, infection, or congenital abnormalities. As the lymphatic system is part of the immune system, this technique is supportive to individuals with auto-immune conditions
and is also detoxifying. The lymphatic system is comprised of a network of vessels, lymph nodes, lymphatic fluid, and supporting organs and glands such as the thymus gland, tonsils and adenoids, spleen, bone marrow, and mucosa-associated tissue that protect against infection.
This technique was developed in the 1930’s by Dr. Emil Vodder and his wife Estrid, and they went on to establish the renowned Dr. Vodder School that trains therapists throughout the world. Originally this technique was largely used to treat post-surgical swelling, particularly after lymph nodes were removed for cancer treatment, and for individuals suffering from lymphedema or lipedema. More people are becoming aware of the benefits of Manual Lymphatic Drainage (MLD), however, and employing it for a range of symptomrelief and health benefits.
Please see “Lymphatic,” page 65

By Etwar McBean, MD, FACS
The Bariatric & Hernia Institute, PC
Obesity gives rise to numerous difficulties long before serious health conditions arise. Typically, obese individuals experience fatigue and shortness of breath when walking long distances or climbing stairs. They often suffer from lower back and knee joint pain, limiting their physical activity. Sleep disturbances, characterized by snoring and frequent awakenings at night, are common precursors to more severe ailments.
In addition, many people struggling with weight issues avoid social events and activities they once enjoyed, which can contribute to varying degrees of depression. Subsequently, well-known major health conditions arise, such as sleep apnea, diabetes, high blood pressure, high cholesterol, heart disease, and arthritis, among others. These conditions often necessitate long-term treatment with multiple medications, leading to a decline in overall health and quality of life, coupled with the high costs of ongoing medical care.
Various options for weight loss exist, including diets, exercise programs, medications, and weight loss surgery. However, the effectiveness of each of these approaches depends on daily healthy lifestyle choices and varies depending on the amount of weight loss required.
Weight loss surgery is typically suitable for individuals who
Please see “Obesity,” page 63




When patients face some of the most traumatic and life-altering moments of their lives, Dr. Larry Bryant is there—combining surgical precision with heartfelt compassion. As Chief of Facial Trauma at the University of Maryland Capital Region Medical Center in Largo, a Level II trauma center, Dr. Bryant leads a skilled team available 24/7 for facial reconstruction and trauma care.
At his private practice, Bryant Oral & Facial Surgery, he specializes in dentoalveolar surgery—the surgical treatment of the teeth, jawbone, and surrounding tissues. Known for his expertise and dedication, Dr. Bryant has become one of Maryland’s most respected oral and maxillofacial surgeons, offering patients cutting-edge care and innovative treatment options in a welcoming, patient-centered environment.
15% Discount
For First Time New Patients Expires 9/30/25
Dr. Bryant’s journey began in 1975 during a summer program at Harvard University. Although he had already planned to attend dental school, it was during a clinical rotation at Massachusetts General Hospital that he discovered his passion for surgery. Interacting with specialists who treated the jaw and face, he realized his true calling.
After graduating with honors from Howard University College of Den-
tistry, he completed his oral and maxillofacial surgery training at Woodhull Medical and Mental Health Center in New York, followed by a fellowship in orthognathic surgery and dental implantology at Montefiore Medical Center.
For over two decades, Dr. Bryant has served the Bowie-Mitchellville community in Prince George’s County, Maryland, providing outstanding care to patients across Maryland, Washington, D.C., and Virginia.


DR.
BRYANT ORAL & FACIAL SURGERY
GLENN DALE, MD
301-249-0553
TeethXpress:
Restoring Smiles in a Day
“Technology has transformed dental care,” says Dr. Bryant—and his practice is proof. One of the most exciting advancements is TeethXpress, a same-day solution that replaces a full arch of teeth using four to six strategically placed implants and a fixed hybrid prosthesis.
Unlike removable dentures that can shift, cause discomfort, or require adhesives, TeethXpress offers a permanent, natural-looking solution that preserves jawbone health and allows patients to eat, speak, and smile with confidence—all in a single visit. For many, it’s a life-changing alternative to the insecurity and inconvenience of traditional dentures.
Patients walk in with missing or failing teeth and leave the same day with a secure, radiant smile. There’s no waiting period, no temporary dentures, and no dietary restrictions. Just immediate results and restored selfesteem.
Bryant Oral & Facial Surgery uses state-of-the-art Cone Beam Computed Tomography (CBCT) to make same-day dental implants possible. CBCT provides high-resolution, 3D imaging of the mouth and jaw, allowing for precise planning and customized implant placement. It’s this technology that enables the team to deliver such reliable, efficient, and comfortable results.
Using this data, the lab crafts custom prosthetics tailored to each patient— resulting in a fit that feels natural and looks flawless.
According to Dr. Bryant, ideal candidates for TeethXpress are patients who are just beginning to lose their teeth and have sufficient bone density. Those with medical conditions such as controlled diabetes, high blood pressure, or even certain autoimmune diseases may still qualify for the procedure. The key is a comprehensive, individualized evaluation.
Each treatment plan is uniquely designed to suit a patient’s dental history, health profile, and long-term goals. Even those who have been told they’re not candidates for traditional implants may find success with TeethXpress.
Each year, Dr. Bryant travels to **Malawi—one of the world’s poorest countries—**where he volunteers as part of the Smiling Surgeons team. With just one oral surgeon serving over 22 million people, the need is immense. Dr. Bryant and his colleagues provide life-altering care for patients with advanced oral diseases, facial injuries, and tumors, offering


BEFORE AFTER

hope and healing in areas with limited access to modern healthcare.
Outside the operating room, Dr. Bryant is a devoted grandfather, an avid swimmer, and an active member of his church’s leadership team. His commitment to service—**at home, in his practice, and around the world— **sets a high standard in the field of oral and maxillofacial surgery.
Whether performing complex trauma care, pioneering implant technology, or giving back to underserved communities, Dr. Larry Bryant is more than a surgeon—he’s a force for healing, innovation, and compassion.

By Dr. Tiffany Daniel Live To Day Wellness
The majority of overweight clients also suffer from chronic pain or have experienced a trauma that keeps them from conducting their daily living activities or reaching their goals independently.
Mindfulness and movement can be combined together to complement the primary care provider’s prescribed treatment. So many clients are living with chronic pain, trauma, and disease that it has become a common household topic.
Two of the most popular forms of healing today are equestrian (horses) and yoga therapy. Both forms of therapy can provide mindful movement.
Mindfulness is a mental state achieved by focusing one’s awareness on the present moment, while
calmly acknowledging and accepting one’s feelings, thoughts, and bodily sensations, used as a therapeutic technique.
Mindful movement can be described as any movement activity that is practiced mindfully, by giving attention, presence, and intention to whatever the form of movement may be. It might be equine, running, yoga, swimming, walking or several other activities.
We have put it all together to embark on the incentives of both.
Mindful resilience (MR, or therapeutic yoga) is a program that was developed by Dr. Dan Libby of the Veteran Yoga Project (VYP) which includes practices that have been chosen based on the feedback of hundreds of veterans and active service members who suffer from the aftereffects of combat or other trauma. MR programs report improvements in mood, impulse be-


havior, irritability, concentration, and sleep.
There are five parts to Mindful Resilience training:
• Breathing – Techniques that can help relieve anxiety and can be used anywhere and anytime.
• Meditation – Enhances focus and concentration, settles the mind, and promotes a sense of wellbeing.
• Mindful Movement – Postures that bring the body through its natural range of motion to enhance strength and flexibility and reinforce the connection between mind and body.
• Guided Rest – Guided exercises can lead to deep and profound relaxation.
• Gratitude – Simple practices that promote a positive outlook. And then we have the Equine Facilitated Therapy, used for personal development and learning

that can be used effectively for both adults and youth where they are offered social activities based on their horse experience. This type of training provides positive results to improve cognitive functions including strategies for organized behavior and self-awareness with mindfulness skills as a recovery tool for individuals under enormous amounts of stress. This therapy is also known to be beneficial in improving motor skills for those seeking treatment for cerebral palsy, Downs syndrome, autism, and sensory integration disorder. When this type of therapy is offered, we partner with equine and physical therapist.
Yoga 200Level and Zumba Instructor
Training: Mindful Movement and Breathwork
Areas of Interest: Healthy Eating and Regular Exercise
Specialties: Nutrition, Meal Planning, Weight Loss, Rehabilitation and Maintenance, and Standards for Excellence Licensed Consultant
Practice Philosophy: Your Health is Your Wealth
Hosts a monthly women veterans peer support group with Peer Outreach Solutions, Inc., (Posi) for Sista’s of the Posi.
Give An Hour, Ambassador supporting veterans and their families.
Veteran Yoga Project, State Director for Yoga - MRT
Breathe for Change, Yoga Instructor Yoga - SEL(F)
Mental Health First Aid Certified
Hobbies: Reading, Researching Preventive Measures for Autoimmune Diseases and other Health Conditions plus Advocate for Veterans and Mental Health Awareness
COSMETIC SURGERY
• Breast Augmentation
• Abdominoplasty (Tummy Tuck)
• Liposuction
• Hair Transplants
• Mommy Makeover
• Facial Surgery
NON-INVASIVE TREATMENTS
• Botox®, Dysport®, Xeomin®*
• BellaFill®
• Juvederm*
• Restylane®*
• TempSure Envi
• Endermologie
• Zerona
• Lipolight LASER TREATMENT
• Hair Removal
• Vein Treatment
• Laser Resurfacing
WELLNESS SERVICES
• Bioidentical Hormones (BHRT)
• ED Treatment for Men
• Medical Weight Loss


4407 Willard Avenue Chevy Chase, MD 20815 (Across from the Friendship Heights Metro)






“BeBalanced gave me my life back! By learning about my body, lowering stress and sugar, and balancing my hormones naturally, I have lost 50 pounds to date. I finally feel like I am living again. Although the weight loss was amazing, my anxiety reduced, sleep issues improved, and my digestive issues and hot flashes were eliminated. I have more energy and I feel better in my own skin. Almost all joint pain has been eliminated. Through this journey, I got my confidence back. Most importantly, I got me back!
Thank you BeBalanced!”
– Susan, Crofton client



By Jonathan Johnson, MD Capital Surgical Center
• Have stubborn fat deposits that don’t respond to diet and exercise
• Are close to their ideal weight but want better definition
If you’ve struggled with stubborn fat that won’t go away despite diet and exercise, 360 liposuction might be the ultimate solution for achieving the sculpted body you desire. Unlike traditional liposuction, which focuses on specific areas, 360 liposuction provides a comprehensive, full-body contouring approach to enhance your natural shape from every angle.
360 liposuction, also known as Lipo 360, is an advanced body contouring procedure that targets multiple areas of the midsection, including the:
• Abdomen
• Flanks (love handles)
• Lower back
• Upper back
• Waistline
By addressing fat deposits around the entire torso, this technique creates a more balanced, 360-degree transformation, enhancing the natural curves of the body.
The procedure uses advanced liposuction techniques to gently remove excess fat while sculpting a smoother, more contoured appearance. Depending on your needs, your provider may use:
• Tumescent liposuction (a minimally invasive approach using local anesthesia)
• Laser-assisted liposuction (to help tighten the skin)
• Power-assisted liposuction (for more precise fat removal)
Since 360 liposuction treats multiple areas at once, it creates a dramatic yet natural-looking transformation.
Who
For 360 Liposuction?
Ideal candidates for 360 liposuction include individuals who:
• Have good skin elasticity to ensure smooth contouring
• Want a more sculpted waistline, flatter stomach, and toned back
It is not a weight-loss proce-
dure but rather a body sculpting method for those seeking enhanced curves and definition.
Recovery from 360 liposuction is typically quicker than traditional liposuction because modern techniques are less invasive. Patients can expect:
• Mild swelling and bruising for
the first few weeks
• Compression garments to help shape the body and reduce swelling
• Visible results within a few weeks, with final results appearing after 3-6 months
Most patients return to work within a week, depending on the extent of the procedure.


Dr. Robinson founded Hearing Solutions Audiology Center to provide the excellence that patients deserve when it comes to their hearing health. With emphasis on diagnostics and aural rehabilitation with advanced technology instruments, Dr. Robinson has been practicing for over 20 years and is board certified by the American Board of Audiology. She received her doctoral degree in Audiology from the Arizona School of Health Sciences and her Master’s and Bachelor’s of Science degrees from Radford University in Virginia, graduating with Magna Cum Laude honors. As an audiologist, Dr. Robinson has worked for large medical hospitals as well as ENT specialists, but she enjoys the personalization and patient care she is able to provide in a private practice like Hearing Solutions. As a native Virginian, Dr. Robinson still enjoys outdoor activities such as boating and kayaking on the weekends. When Dr. Robinson and her husband aren’t attending their children’s sporting events, they can usually be found enjoying the waterways of Maryland.



Dr. Mara Holton grew up in Maryland and has practiced with AA Urology for more than a decade since completing her residency.
Dr. Holton earned her undergraduate degree from The University of Vermont before attending medical school at Temple University in Philadelphia. She then completed her general surgery internship and urologic surgery residency at University of Maryland Medical System. While in residency, Dr. Holton practiced the full breadth of urologic training and surgery. Additionally, while there, she spent a year doing research dedicated to interstitial cystitis / pelvic pain alongside leaders in the field.
In clinical practice, Dr. Holton treats all urologic conditions but has a special interest in female incontinence and pelvic floor dysfunction along with the noninvasive treatment of kidney stones. She is trained in the all of the most current and minimally invasive options to facilitate patients ability to recover from procedures quickly so that they can get back to their lives and families.
As the managing partner of her group, Dr. Holton has overseen the expansion of AA Urology over the past several years and is excited by the growing presence of the group while maintaining the practice ethos of compassionate care in our communities. She is also very involved in the advancement of independent physician practices as a critical resource for patients and participates in advocacy as a board member of national organizations, including the Large Urology Group Practice Association.
In her free time, Dr Holton enjoys traveling, hiking and spending time with her family and dogs.


Dr. Shin is the founder and president of BCC Pediatric Dentistry. She is a Board-Certified Pediatric Dentist with more than 20 years of practice experience. Among other awards and recognitions, Dr. Shin has been selected by her peers as a Washingtonian Top Pediatric Dentist and a Bethesda Magazine Top Pediatric Dentist. Dr. Shin’s experience spans a diverse range of locations, settings, and organizations. She was Associate Professor of Pediatric Dentistry for the Advanced Post-Graduate Pediatric Dentistry Residency at the University of Southern California (USC). Dr. Shin practiced pediatric dentistry at a Native American Reservation in Montana. After 911, she joined the Army and served as an active-duty military officer and pediatric dentist at Walter Reed Army Medical Center, in Washington DC. Dr. Shin was also the first Korean-American female to hold the position as the division head of the Pediatric Dentistry and Orthodontic Dental Clinic at the Children’s Hospital of Los Angeles. These and other positions throughout the years have provided Dr. Shin with invaluable pediatric dentistry experience and unique expertise. Most of all she loves children, likes to make them laugh, and is constantly trying to learn more about them and their accomplishments. That includes her patients and her son, daughter, grandkids, and your child too!

Oral and Maxillofacial Surgeon Diplomate, American Board of Oral & Maxillofacial Surgery
MDS • OMFS, MD, PA

Dr. Sreeni came to the United States as an Oral and Maxillofacial Surgeon in the year 1990 and put himself through dental school again at Boston University and Oral and Maxillofacial Surgery residency at University of Medicine and Dentistry of New Jersey.
As an Oral and Maxillofacial Surgeon, Dr. Sreeni manages a wide variety of problems relating to the Mouth, Teeth and Facial Regions. He practices a full scope of Oral and Maxillofacial Surgery with expertise ranging from Corrective Jaw Surgery to Wisdom Teeth Removal. His passion is in implant surgery and he is well known for same day placement of implants following teeth removal be it for single teeth or a complete “makeover” (Smile in a day). He can also diagnose and treat Facial Pain, Facial Injuries and TMJ disorders and perform Bone Grafting and Sinus lift procedures.
Dr. Sreeni completed a residency in Anesthesiology at Mount Sinai Hospital, New York in 1994 and has worked as an Attending providing anesthesia services for children and adults in the ambulatory out-patient center of the hospital.
Dr. Sreeni is an Advanced Cardiac Life Support instructor with the Adventist group. He is also certified in Pediatric advanced life support and is very capable of handling emergencies that could possibly arise in the office. Dr. Sreeni’s staff are trained in assisting with IV Sedation/General Anesthesia within our state of the art office setting. Patients are continuously monitored during and after surgery. The goal of our office is to provide professional service with compassion and an understanding of the patients’ perspective.


Alicia Kovach, DC
Degrees/Training: Graduate of Palmer College of Chiropractic, DRX Training, Activator, Myofascial Release, Board Certified Physi cal Therapy and Webster Certification. Trained in the Thompson Technique, as well as in the latest evidence based Chiropractic treatments for Pediatric and Pregnancy Care Associations: Maryland Chiropractic Association, International Chiropractic Pediatric Association Areas of Interest: Maternity Care, Pediatric Care, Worker’s Com pensation, Personal Injury, Spinal Decompression for Herniated Discs
Hobbies: Sports Fan, Swimming, Running and spending time with her family Inspiration: Helping people restore their health naturally on a daily basis.
Most Memorable Moment: Through the use of the chiropractic care and other wellness modalities, she has seen patients go from extreme back and/or neck pain to little or no pain and the ability to return to a productive life. Patients injured through automo bile accidents or work related accidents that could hardly func tion daily in their jobs have been able to return to work and daily activities pain free.
Best Health Advice: Pay attention to your body and don’t ignore the subtle signals. Those subtle signals can lead to a quicker recovery.
Cancer Patients:
Chiropractic treatment can relieve pain and stiffness in your joints and muscles caused or intensified by surgery, chemotherapy or radiation therapy. Call our office today to find out if Chiropractic care may be right for you.

Dr. Aric Adlam was born and raised in the suburbs of Detroit Michigan where he started receiving chiropractic care at the age of 2 years old. After a traumatic football injury threatened his future athletic career at the age of 16, Dr. Adlam risky spinal surgery for an all chiropractic approach. After missing only a half of a football season instead of the predicted 2 years; Dr. Adlam was back on the field. More importantly, Dr. Adlam had decided during that time that he had found his calling in life and decided to pursue a career as a Chiropractor.
Dr. Adlam received an undergraduate Bachelor of Science degree with an emphasis in Biological Sciences before entering chiro practic school. He then continued his education at Life University College of Chiropractic in Marietta, GA where he received his Doc torate of Chiropractic degree, fulfilling his dream of becoming a Chiropractor.
Dr. Adlam is highly trained in the diagnosis and treatment of soft tissue injuries often encountered in the spine, extremities and the rest of the body. He has extensive experience with the current state of the art spine rehabilitation technology and diagnostic equipment used in the treatment of spine related injuries. He has had success in treating many patients who have dealt with chron ic neck and low back pain for years as well as headaches sufferers that found no relief in the traditional medical model. He has ex tensive expertise in the treatment of whiplash injuries that often result from automobile accidents. Dr. Adlam is also well trained in the diagnosis and treatment of bulging discs in the low back and neck utilizing the latest treatment methods available.
Dr. Adlam comes from a history of highly competitive sports and takes pride in getting the high performance athlete to the weekend warrior back in the game safely and effectively. He looks forward to bringing the patients of Kovach Chiropractic and Well ness Center the best chiropractic care possible.



Dr. Kristina Anderson was born and raised in northern New Jersey. She completed her undergraduate studies at the University of Maryland, College Park where she received her Bachelor’s degree in Kinesiology. She then went on to receive her Doctor of Chiropractic degree and Masters in Applied Clinical Nutrition at New York Chiropractic College.
Since graduating, Dr. Anderson has received certifications including Rocktape, Dry Needling, Active Release Technique, FAKTR (Functional and Kinetic Treatment with Rehab), and the Webster Technique. After having to take time off from Track and Field in high school due to quadriceps tendinitis, she understands the importance of quality rehabilitation and care and continues to educate herself to better assist her patients.
Throughout her career as a chiropractor, Dr. Anderson has worked with a variety of patients including athletes, perinatal, postnatal, personal injury, adolescents, and geriatric. Dr. Anderson works tediously to ensure that maximum therapeutic benefit is achieved. Outside of work Dr. Anderson enjoys reading, watching stand-up comedy, musicals, and traveling with her husband.

• Spinal Decompression • Aqua Massage
• Cold Laser Therapy • Custom Orthotics
• Massage Therapy • Ultrasound
• Infrared Light Pad
• Physical Therapy Modalities

The Only Non-invasive Laser Device With FDA Approved, IRB, and Clinically Proven Results For:


• Natural, safe, laser light energy is pulsed and absorbed by the subcutaneous tissue.
• Supercharges the body’s metabolism through ATP synthesis to burn fat as energy.
• Waste products are expelled from the body via sweat, urine and respiratory exhaustion.
• The body continues to burn fat for up to 4 hours after treatment.
• Collagen and elastin production is increased within the skin layers to rejuvenate and repair skin cells addressing cellulite, skin laxity and stretch-marks.


Dr. Brown’s practice focuses on TMJ, sleep apnea and orthodontics. This allows Dr. Brown and his team to provide individualized, focused care for patients dealing with these specific issues. Every day, his practice helps patients of all ages with facial development, sleep issues, chronic headaches, migraines, neck pain, movement disorders, and much more. His training also includes multiple disciplines involving the cranial bones in the skull, and the discs in the jaw joints. Through treatment, Dr. Brown is able to reduce these symptoms, align cranial bones, avoid extractions, and greatly reduce the need for traditional braces.
His expertise allows him to identify issues early on which promotes proper facial development using dental appliances. If there is an internal imbalance, whether an adult or child, the body does not develop or function properly. When the cranial bones are lined up correctly, patients are able to function, sleep and generally live better.
With that in mind, the team at Sleep & TMJ Therapy takes a whole-body approach when treatment planning. They work hand in hand with physical therapists and osteopathic doctors for a better success rate. Dr. Brown is devoted to helping patients of all ages live a symptom free life.
Degrees & Certifications
Dr. Brown earned his degree from Georgetown Dental School and completed residencies with Emory University Hospital for Dental Sleep Medicine and the ALF Appliance Therapy Institute.
Outside the Office
When not seeing patients, Dr. Brown is a sought-after speaker. He has lectured all over the world, including D.C., Dubai, Seoul, London, Norway and Toronto. He has also been featured on Channel 9’s Good Morning Washington, several podcasts, and numerous magazines and journals.
Professional Affiliations
Dr. Brown is a diplomate of the American Academy of Craniofacial Pain, a member of the American Academy of Dental Sleep Medicine, American Academy of Gnathological Orthopedic, Academy of Integrative Pain Management American Dental Association, a Fellow of the American Academy of Craniofacial Pain, and Legacy Provider for the ALF Interface Academy.
Do you have TMD or Sleep Apnea?
TMD Symptoms: Noise in the jaw joints when opening and closing your mouth, difficulty chewing, limited opening, tender facial muscles, ear ringing, uncomfortable bite, jaw locking, headaches, migraines, dizziness, vision issues as well as pain in the jaw area which can radiate to the ears, head, neck, shoulders, and back.
Sleep Apnea Symptoms: Snoring, waking up gasping for air, feeling tired and irritable in the morning, difficulty controlling weight, concentration problems, morning headaches, episodes of not breathing, waking with a sore throat, forgetfulness and mood changes.
If you believe you may be suffering from TMD or Sleep Apnea, don't wait... Call today to schedule a consultation with Dr. Brown: 703-821-1103.

Meet E. Taylor Meiser, Jr.
Degrees/Training: DDS, University of Maryland Dental School; General Practice Residency, San Diego Naval Hospital; Prosthodontics Residency, Naval Dental School, Bethesda; U.S. Navy Dental Corps Officer, Commander, USN, (retired).
Professional Memberships: American Dental Association, Maryland State Dental Association, Anne Arundel County Dental Society, Annapolis Dental Study Club, Chesapeake Implant Study Club, University of Maryland Alumni Association.
Practice Philosophy: To follow the “Golden Rule” in all aspects of professional dental care, providing outstanding quality dentistry in a caring, comfortable and comprehensive manner. Lighthouse Family Dentistry will “Light Up Your Smile.”


Lake Arbor Way

David E. Harmon, Jr., D.D.S., M.S.D., P.A.
Degrees, Training and Certificates: Master of Science in Dentistry in Orthodontics; DDS and BS from Case Western Reserve University in Cleveland, OH
Evening & Weekend Hours • FREE Orthodontic Evaluation Se Habla Español
Professional Memberships/Associations: Assistant Clinical Professor at the University of Maryland, Department of Orthodontics; Adjunct Assistant Professor at Case Western Reserve University, Department of Orthodontics, Cleveland OH; American Association of Orthodontists; President Mid-Atlantic Society of Orthodontists; Past President of the Maryland Society of Orthodontics; Alpha Phi Alpha Fraternity, Inc.; Former Member of Bishop McNamara High School’s Board of Directors; Former member Prince George’s County Community Education Foundation Board of Directors.
Areas of Interest: Building and networking computers, golf, and football
Lake Arbor Way (Lake Arbor Village Center) Mitchellville, MD 20721
Family/Hobbies/Interests: Children, Kennedy and David III; Wife: Shonda W. Harmon, MBA, MPA




I’m a Registered, Board Certified, Licensed Clinical Professional Art Therapist, with Level 2 Internal Family Systems training. I have over 25 years in clinical practice, helping children, adolescents and adults overcome the challenges of trauma, mood and anxiety disorders, difficulty forming healthy attachment, life transitions, and more.
In my work, I have seen the power of art to communicate feelings that words alone could never convey. It seems to work for all kinds of people. Sharing your inner experience in this way can clear the path to healing, and gently lead to the change that you desire.
Where You Can Find Me Making A Difference:
Robertson Art Therapy, LLC



Dr. Trent has a passion for helping people. She has practiced Audiology since 1984, in a number of clinical settings. Her diverse career has included 16 years of teaching and clinical supervision at Howard University, Washington, DC and Temple University, Philadelphia, PA. Dr. Trent has also worked as a clinical audiologist in hospital settings and private ENT practices.
Education: Clinical Doctoral Degree – Audiology-University of Florida, Gainesville, FL
Master of Education – Audiology- Northeastern University, Boston, MA
Bachelor of Science – Communication Sciences and Disorders – Hampton University, Hampton, VA
Dr. Trent holds her Maryland State Licensure in Audiology. She is a Certified Clinical Audiologist (CCC-A) through the American Speech-Language-Hearing Association (ASHA). Presently, she serves on the Board of Directors for ASHA as Vice President for Audiology Practice.
Where You Can Find Me Making A Difference:


Dr. Washington-Plaskett, a native of Fort Washington, MD, completed her Medical training at Meharry Medical College, followed by Internal Medicine at Morehouse School of Medicine and Advanced Cardiology training at Boston Medical Center, including Interventional Cardiology. Inspired by her parents’ dedication to medicine, she is passionate about serving others through her work as a Cardiologist.
Her clinical interests include coronary artery disease, women’s cardiovascular health, and addressing health disparities. She emphasizes the challenges women face in recognizing heart attack symptoms, aiming to improve awareness and prevention. With coronary heart disease affecting over 20 million Americans, her focus is on empowering patients with the knowledge and tools needed for better cardiovascular health.
Dr. Washington is excited to deliver compassionate, high-quality care to patients in Southern Maryland, helping them navigate their journey toward improved heart health.
Where You Can Find Me Making A Difference:
Degrees/Training: Bachelor of Science, Ohio State University, Columbus, OH, Dental Hygiene, Pre-Dentistry; University of Maryland Dental School, Doctor of Dental Surgery, Baltimore, MD; Pete Dawson Center, Tampa, FL; Zimmer Institute
Professional Memberships/Associations: Academy of General Dentistry; American Dental Association
Areas of Interest: Preventative, Cosmetic, Endodontic and Prosthetic Dentistry
Practice Philosophy: To provide patients with state-of-the-art treatment together with personal attention and compassionate care. My expertise and concern for my patients ensures that they receive effective care in a warm and friendly environment.
Our Practice: White Plains Comprehensive Family Dentistry welcomes you to their new practice in the White Plains, MD. We offer complete dental exams and procedures for the entire family. Whether you are having a dental emergency or it’s time for your yearly check-up, stop in and see our friendly and professional staff today.
Where You Can Find Me Making A Difference: White Plains Comprehensive Family Dentistry P: 240-349-2158
4255 Altamont Place, Suite #204, White Plains, MD www.AConfidentSmile.net


Dr. Janet V. Johnson was born in Brooklyn, NY. She received her undergraduate degree in Biology at Hunter College in Manhattan, NY. She pursued a career in research medicine as a research assistant at Downstate Medical School in the Department of Gastroenterology. Obtaining her masters degree in Physiology at Long Island University in Brooklyn, NY. Dr. Johnson received her medical degree from State University of New York at Buffalo School of Medicine in 1991. She completed her Internship and Residency at Howard University/DC General Hospital in 1994.
After becoming Board Certified by the American Board of Pediatrics, Dr. Johnson worked as an Emergency Room Pediatric Physician at DC General Hospital and for a local pediatrician before she began her practice: Loving Care Pediatrics in Hyattsville, MD in 1998. She is continuing to pursue CME credits to maintain board certification. Concurrently, she serves as a Clinical Instructor to nursing students at Howard University Family Nurse Practitioner (FNP) Program; John Hopkins Family Nurse Practitioner (FNP) Program; Marymount Family Nurse Practitioner (FNP) Program; and University of Maryland Baltimore Family Nurse Practitioner (FNP) Program. She also serves as a Clinical Instructor for medical assistant students at Stratford University; Fortis College, Brightwood College and Career Technical Institute. She is a Fellow of the American Academy of Pediatrics (FAAP). Dr. Johnson is also a member of the Prince George’s Community Advisory Group (CAG), Washington Adventist Health Ministry Network and the Medical Advisory Committee for Amerigroup Insurance. Dr. Johnson has given lectures on Teen Suicide and Teen awareness on HIV/AIDS to youth groups in Washington, DC and continues to publish articles in Washington Woman’s Journal and Your Health Magazine in Prince George’s County. She served as Medical Director of the Mid-Maryland Mission of Mercy and Health Equity Festival, which provides free dental care. She annually gives talks “Suicide Is Not an Option” and “Teen HIV/AIDS Awareness” to a group for youth summer program in Washington, DC. She integrates Christian prayer into her practice when appropriate and regularly incorporates social justice topics into her magazine articles.

Degrees/Training: Graduate of Palmer College of Chiropractic, DRX Training, Activator, Myofascial Release, Board Certified Physical Therapy and Webster Certification. Trained in the Thompson Technique, as well as in the latest evidence based Chiropractic treatments for Pediatric and Pregnancy Care
Associations: Maryland Chiropractic Association, International Chiropractic Pediatric Association
Areas of Interest: Maternity Care, Pediatric Care, Worker’s Compensation, Personal Injury, Spinal Decompression for Herniated Discs
Hobbies: Dr. Kovach enjoys spending time with her son, Colton, and her family and friends. She also enjoys staying active running and is an avid sports fan.
Inspiration: Helping people restore their health naturally on a daily basis.
Most Memorable Moment: Through the use of the chiropractic care and other wellness modalities, she has seen patients go from extreme back and/or neck pain to little or no pain and the ability to return to a productive life. Patients injured through automobile accidents or work related accidents that could hardly function daily in their jobs have been able to return to work and daily activities pain free.
Best Health Advice: Pay attention to your body and don’t ignore the subtle signals. Those subtle signals can lead to a quicker recovery.


Board Certified, Ophthalmology by the American Board of Ophthalmology Board Certified Ophthalmologist who has performed thousands of laser, ophthalmic, cataract, cornea and BOTOX procedures. Owner and Medical Director of Envision Eye and Laser. Trained at Wellesley College, UCLA School of Medicine, Yale University and the LSU Eye Center. Named a 2021 Washingtonian TOP DOCTOR by her peers. Selected as the Millennial EYE Outstanding Female Leader in Ophthalmology for the March/April 2021 Issue.
A commitment to excellence in ophthalmic training and surgical technique, coupled with her expertise with state-of-the-art technology, has enabled Dr. Bovelle to earn her patients’ confidence and trust. Her practice emphasizes disease prevention, overall wellness, and patient education. She is committed to treating all of her patients with compassion and caring. She offers each patient an individualized treatment plan, and is dedicated to helping patients make informed decisions about medical, surgical, and aesthetic treatments. Served as assistant professor of Ophthalmology at Louisiana State University, and worked at the National Institutes of Health. Current Director of the Cornea Service at Howard University Hospital Department of Ophthalmology.
Her work has been published in medical textbooks and ophthalmology journals in the U.S. and internationally. Donates her time to caring for the poor by participating in health fairs and medical mission trips.
She holds academic appointments at Howard University Hospital, Ross University School of Medicine and University of Maryland Capital Region Medical Center. Holds leadership positions in ophthalmic and other medical associations. Currently, she represents the Maryland Society of Eye Physicians and Surgeons (MSEPS) as a counselor to the American Academy of Ophthalmology and is on the MedChi legislative council. Under her leadership, MSEPS received the 2021 Star Award for innovative delivery of education and value to society members.
Where You Can Find Me Making A Difference:
Envision Eye & Laser Center
P: 301-805-4664


12200 Annapolis Road, Suite #116, Glenn Dale, MD www.EnvisionEyeandLaser.com

Dr. Kristina Anderson was born and raised in northern New Jersey. She completed her undergraduate studies at the University of Maryland, College Park where she received her Bachelor’s degree in Kinesiology. She then went on to receive her Doctor of Chiropractic degree and Masters in Applied Clinical Nutrition at New York Chiropractic College.
Since graduating, Dr. Anderson has received certifications including: Rocktape, Dry Needling, Active Release Technique, FAKTR (Functional and Kinetic Treatment with Rehab), and the Webster Technique. After having to take time off from Track and Field in high school due to quadriceps tendinitis, she understands the importance of quality rehabilitation and care and continues to educate herself to better assist her patients.
Throughout her career as a chiropractor, Dr. Anderson has worked with a variety of patients including athletes, perinatal, postnatal, personal injury, adolescents, and geriatric. Dr. Anderson works tediously to ensure that maximum therapeutic benefit is achieved.
Outside of work Dr. Anderson enjoys reading, watching stand-up comedy, musicals, and traveling with her husband.
Where You Can Find Me Making


Dr. Mary Alexander, periodontist, obtained a Bachelor of Science degree in Biology from the University of South Carolina and continued her education in dentistry at the University of Maryland School of Dental Surgery where she received her DDS degree. Prior to and during her dental studies, Dr. Alexander received funding and support from the National Institutes of Dental Research for her involvement in the periodontal research.
After obtaining her DDS degree Dr. Alexander spent one year at the Veteran’s Administration Hospital, in general practice residency focusing her training in the area of anxiety patient management. She then attended Harvard University and earned her clinical specialty in periodontics and a doctorate in medical science. Her doctoral research was focused in the study of bone function and metabolic disease of the bone.
Dr. Alexander received extensive training in dental implantology, periodontal plastic surgery, bone regenerative procedures and sedation dentistry. All aspects of Dr. Alexander’s training are incorporated in her periodontal practice assuring patient’s thorough and comprehensive periodontal treatment.
Where You Can Find Me Making A Difference: Total Dental Care
P: 240-813-9111

20680 Seneca Meadows Parkway, Suite #218 Germantown, MD 20876 • www.TotalDentalCareMD.com

Kim has had a wide variety of experience as a nurse, from ICU service to Oncology nursing, and is an expert with IV therapies and is committed to her patients being comfortable, safe and well informed. Kim has been utilizing IV therapies very safely and therapeutically with over 30 years as an IV Nurse, has been administering nutritional and integrative IV’s in many different settings and practices throughout Maryland and Massachusetts. She is able to tailor these therapies to meet individual needs and requirements. Many people can benefit from these therapies and they can jumpstart your road to recovery and health.
Treatments Offered Include:
• IV Therapies: Vitamin C Drips, Meyers Cocktails, Glutathione, Mineral IV's,
• Alpha Lipoic Drips, B12/MIC injections
• Botox/Dysport
• Morpheus8, Votiva (vaginal rejuvenation, especially for urinary incontinence)
• Traditional Microneedling treatments
• VIPeels including NEW BODY PEELS
• Heidelberg PH Capsule Testing
Where You Can Find Me Making A Difference: Annapolis Integrative Medicine, LLC P:

Dr. Judy Yu is an artist with a passion for perfecting smiles and boosting confidence. She is a true advocate of education. Dr. Yu strives to
She attended the Temple University School of Dentistry in Philadelphia, PA, where she received her DMD and was honored in the Temple University Gallery of Success. Her undergraduate degree, a B.A. in Chemistry, was attained at Goucher College in Towson, MD, where she was a Dean’s Scholar. She completed her Executive M.B.A. at Loyola University in Timonium, MD.
Dr. Yu is currently a member of the American Dental Association (ADA), Maryland State Dental Association (MSDA), the Academy of General Dentists (AGD), and the Maryland Academy of General Dentists. She served as the Public Information Officer on the board of the Maryland Academy of General Dentists (MAGD). Additionally, she is certified in Forensic Dentistry through the Armed Forces Institute of Pathology at Walter Reed Medical Center and has served on the Maryland State Committee for Oral Cancer Awareness. Dr. Yu served on The Anne Arundel County Oral Task Force aiming to increase access to care for the adult population.
She is committed to the overall health of her patients and works with her team to educate clients about the importance of oral care and how the pathology in the oral cavity is directly linked to one’s general health, including periodontal disease and its relationship with heart disease.
A humanitarian at heart, Dr. Yu truly enjoys giving back to the community. She currently chairs the Northern Anne Arundel County Chamber of Commerce Health/Wellness Committee. She is also a board member of the Alumni Association of Goucher College. Dr. Yu also chaired the McDonogh Parent Association’s Parent Education Committee. She was involved with the Healthy Anne Arundel Coalition to “Make Health Happen.” You will often find Dr. Yu volunteering for Missions of Mercy, donating dental services to the public or volunteering at her church by cooking for Heaven’s Kitchen.
Where You Can Find Me Making A Difference:


Voted “Best Pet Food Store” by the Washingtonian, What’s Up Magazines, Bay Weekly’s Best of the Bay, Capital Gazette and Bowie Blade newspapers.
Specific recommendations for your pet based on age, weight, lifestyle and health concerns.
Over 30 lines of natural foods and treats to choose from.
Vitamins, toys, beds, grooming supplies, flea & tick natural repellents and more!
Philosophy: Giving your pet the best health possible for a long & healthy life through natural nutrition.

Where You Can Find Me Making A Difference:


My Degrees & Training: Majored in Biology Birmingham-Southern College and graduating Phi Beta Kappa. During medical school at the University of Alabama in Birmingham, Dr. Merritt was selected for the prestigious Howard Hughes Medical Institute-National Institutes of Health Research Scholars program, and worked for a year during medical school as a researcher at the NIH in Bethesda, Maryland. Dr. Merritt performed her residency at the University of North Carolina in Chapel Hill, and pursued extra fellowship training in pain management at the Johns Hopkins Medical Institute. Her training included the full spectrum of pain management techniques, including interventional pain management and pain medication management.
Professional Memberships: Board Certified in Anesthesiology and Pain Management through the ABMS, the gold standard in physician certification. She has practiced in a variety of settings since training, including Johns Hopkins. She has also volunteered her time to travel to India, providing anesthesia for cleft lip and palate surgeries.

Since age 5, my passion for veterinary care has guided me. At 14, I embarked on my journey, working in veterinary clinics. Graduating from The Ohio State University with a DVM degree in 1977, I've devoted my life to caring for both pets and their families. After a decade in clinical practice, I sought new avenues due to concerns about pets' health. In 1988, I delved into veterinary acupuncture, earning certification from the International Veterinary Acupuncture Society. This led me into holistic medicine, where I gained certification in homeopathy and underwent training with Dr. Richard Pitcairn. In 1993, I sold my practice in Maryland and pursued spirituality in Sedona, AZ, becoming a Tibetan Buddhist nun until 2023. Embracing the belief in the equality of all life, I dedicated myself to alleviating suffering. Returning to Maryland in 2006, I co-founded Holistic Veterinary Healing in 2013. Recognizing the interconnectedness of human and animal health, I pursued a Master's degree in Human Acupuncture in 2010. Since 2016, I've focused solely on animal patients, certified in Medical Ozone Therapy and as a Fear Free Practitioner. Residing in Germantown with my dogs, I cherish moments with family and friends, and find solace in meditation and loving my dogs.
Drive, Suite C & D, Germantown, MD HolisticVeterinaryHealing.com

Lynch is a seasoned healthcare administrator with a diverse background in managing various medical organizations, ranging from chiropractic care to orthodontics. Renowned for her commitment to delivering exceptional patient care, Jodi has a reputation for always putting patients first. After dedicating over 20 years to focusing on her family and supporting the military, Jodi has returned to healthcare as the Operations Manager for our practice.
Jodi is passionate about advocating for trauma survivors, regardless of their trauma history. With her extensive experience in brain health advocacy, she has seen firsthand the transformative effects of Stellate Ganglion Block (SGB) treatment on individuals suffering from PTSD and anxiety. Her dedication to veteran brain health has led her to actively engage with several organizations. She has served as a Family Advocate for the University of North Carolina THRIVE Program’s Spousal/Family Support Group and as a member of the Military Special Operations Family Collaborative’s SOF Family Health Advisory Board.
For over 28 years, Jodi has been a steadfast advocate for the military community, veterans, and their families, drawing from her experience as a military spouse. Her greatest accomplishment, however, is raising her three remarkable children: Captain Kaela Lynch, a US Army pilot; James Lynch, an astrophysicist; and Lieutenant Junior Grade Maria Lynch, a US Navy nurse. Jodi is excited to be part of our care team, where she continues her lifelong commitment to providing hope and support to those in need.


Growing up with a background in Traditional Chinese Medicine, I discovered my passion for integrative veterinary medicine early on. My father introduced me to Gua Sha and acupressure massage, sparking my fascination with healing modalities. Initially pursuing human medicine, I worked in acupuncture clinics, volunteered at Walter Reed, and conducted research at UMD and FDA.
In 2015, I encountered Traditional Chinese Veterinary Medicine (TCVM) through Dr. Allison Marshall, a veterinarian certified in acupuncture. Inspired, I pursued veterinary medicine, earning a Bachelor’s in Biomedical Engineering at VCU in 2017 and completing my DVM at Virginia-Maryland College of Veterinary Medicine in 2021.
I specialize in integrative medicine, blending holistic and conventional approaches to provide optimal care. Certified in veterinary acupuncture (CVA) through Chi University, I also have experience in pathology, surgery, and exotics.
In my free time, I enjoy lion dancing, spending time with family, and exploring new foods.
Where You Can Find Me Making A Difference:
Holistic Veterinary Healing
P: 240-715-6570
12627 Wisteria Drive, Suite C & D, Germantown, MD HolisticVeterinaryHealing.com


Grace Dennis is the owner and founder of Grace and Elegance Beauty Salon, serving the Anne Arundel County community since 1991.
With over 30 years of experience in cosmetology, Grace is known for her expertise in both classic and cutting-edge hair techniques, from everyday cuts to advanced services like micro-linking and non-surgical hair replacement.
A lifelong learner, she has trained across the country, constantly refining her craft to better serve her diverse clientele. Grace takes pride in providing not just a service, but an experience — where every woman feels heard, cared for, and confident in her beauty. Her salon is built on professionalism, integrity, and a deep understanding of how transformative great hair can be.
Whether you’re facing hair loss, a difficult texture, or just want a new look, Grace combines expert care with warm, personalized service to help you look and feel your best.
$10 off (New Clients Only) Hair Services and Scalp Analysis for Hairloss Clients
Where You Can Find Me Making A Difference: Grace and Elegance Beauty Salon
S - 410-266-3305 • C - 410-530-6384 Appt. Only 228 Obrecht Road, Millersville, MD 21108 gmdennis@verizon.net • graceandeleganceinc.com


In therapy with me, you’ll find warmth, authenticity, and a touch of humor. I believe healing begins with connection, and I work to create a safe, trusting space where clients feel seen and supported. Inspired by Dolly Parton’s words—“laughter through tears is my favorite emotion”—I embrace honesty over perfection and growth over defensiveness, lessons shaped by life and parenting.
Raised by a strong single mother, I carry values of compassion, resilience, and strength into both my personal life and my work at The Betty Center. After raising my children, I changed careers and earned my MSW from the University of Maryland at age 47.
I specialize in helping adults through life transitions—divorce, empty-nesting, and more— while addressing anxiety, depression, ADHD, trauma, and relationship issues. My approach is personalized, using evidence-based methods tailored to your needs.
Outside of work, I love yoga, concerts, true crime, football, and quiet moments with books and family.
Where You Can Find Me Making A Difference: Betty Center, LLC • P: 301-615-1117


I am a Board Certified Pediatric Dentist. As a pediatric dentist since 2005, I enjoy providing care and motivation to my patients, while learning from their unique perspectives. Interacting with young kids, pre-teens, and teenagers keeps me young at heart and energized.
I completed a Bachelor of Science at Morgan State University, a Doctorate of Dental Surgery at the University of Maryland, and a Pediatric Dental Certificate at Howard University. I stay current with advancements in pediatric dentistry through continuing education, including courses in traditional orthodontics, aligner training, and laser dentistry.
I offer a range of services from “needle-free” laser dentistry to orthodontics and assistance for infants and toddlers with lip- and tongue-tie issues. I am a member of the American Academy of Pediatric Dentistry, American Dental Association, Diplomat of the American Board of Pediatric Dentistry, American Black Women in Dentistry, and Mommy Dentists in Business.
Beyond the office, I participate in community outreach, promoting education and healthy lifestyles. Raised in Yonkers, NY, I’ve lived in Upper Marlboro for almost 20 years with my husband and our two daughters. I enjoy supporting my daughters’ cheerleading, bike riding, power walking, and relaxing with a good book.
Where You Can Find Me Making A Difference: Berry Children’s Dental of Bowie P: 301-383-0959 4449 Mitchellville Road, Bowie, MD www.BerryChildrenDental.com


• Licensed Hair Care Provider and Certified Trichologist
• Owner, Beyond The Strandz Wellness Clinic and Jai’Stylz Hair Spa & Salon
Leading the Cosmetology industry for nearly 3 decades, Jaimi specializes in Hair Care, Scalp Disorders, Hair Loss, Silk Press, Natural Hair, Relaxers, Short Hair, Scalp Detoxification, Colors and Treatments that protect, rebuild and tame various hair types in the Washington, D.C. metropolitan area.
Jaimi Jackson is a Certified Trichologist, Licensed Hair Care Provider, and Owner of Beyond The Strandz Wellness Clinic and Jai’Stylz Hair Spa & Salon.
A Trichologist is a specialist who focuses on Trichology – the science dealing with the study of diseases or problems related to the hair and scalp, as well as their treatments.
A Trichologist does not diagnose; we suggest and recommend because we are not medical doctors.
Our restorative hair treatments can heal and moisturize hair from the inside out, which results in healthier hair!
Our scalp treatment is catered toward those experiencing thinning hair and scalp dryness. We focus on targeting problems and offer solutions with a treatment plan that anyone with any scalp or hair condition will benefit. The treatment rejuvenates the scalp by removing dead skin cells, unclogging follicles, and improving overall scalp circulation!
WE ASSIST YOU IN TAKING A PROACTIVE APPROACH TO HAIR AND SCALP CARE.
Where You Can Find Me Making A Difference: Beyond the Strandz Wellness Clinic @Jai’Stylz P: 301-967-4044 • jaistylz.com/hair-loss/ 5000 Pennsylvania Avenue (off Spaulding Ave.) Suite J, Suitland, MD


Dr. Fana Assafa, DNP, Ph.D., RN, CCLS, is an internationally recognized expert in aesthetic dermatology and laser therapy with over 20 years of experience. As the Founder and CEO of Fana Skin Care and the creator of FANA-bnatural, a global FDA-monitored skincare line, she leads innovations in skin care and longevity. Dr. Fana’s clinic in Silver Spring, MD specializes in culturally sensitive dermatologic care, particularly for ethnic skin, and has treated over 50,000 patients worldwide, including royals and diplomats. Known for her expertise in anti-aging treatments, liquid facelifts, laser procedures, and gut-skin hyperpigmentation, she also trains physicians globally as Lead Clinical Instructor at the American Institute of Aesthetic and Laser Medicine. Dr. Fana is a Fellow of the American Society for Laser Medicine & Surgery, a Certified Wellness Coach, and regularly speaks at global conferences. Her services include non-surgical facelifts, advanced skin treatments, and wellness programs.
Where You Can Find Me Making A Difference:




Sharron Sample, CEO of Dispensary Works in White Plains, MD, retired from the position of Chief Information Office, Earth Science, NASA in 2008 after a long and rewarding career. She never envisioned the legalization of cannabis for medicine and that she might play a role in making it available to others.
In 2014, son, Robert and nephew, Steve, made Sharron aware of the plans for legalization and began to educate her on the science of cannabis as medicine. She was particularly impressed with the ways it was helping to reduce or eliminate seizures in children and adults. Together, they opened Dispensary Works on May 10, 2018, and have found it to be one of the most gratifying accomplishments of their careers.
“We are committed to providing the best cannabis product to patients as part of their overall health plan, ensuring their needs continue to be met as we enter into the adult-use market on July 1, 2023."
Native to Maryland, Sharron, Rob, and Steve continue to be "greatly rewarded by patient reports of improved relief for medical conditions, from minor improvements to life-changing transformations."
Since the legalization of cannabis for adult-use on July 1, 2023, anyone over 21 may buy cannabis. Dispensary Works continues to give priority treatment to medical patients, by moving them up in the queue for shorter wait times. Medical customers continue to buy tax free.
Where


Dr. Namita K. Thapar-Dua (formerly known as Dr. Chaudhary) is a different kind of dentist. She takes time to listen to the patients (even with Alzheimer's) and provide them with the best care she can. Rather than rushing through dental visits, Dr. Thapar-Dua listens, talks, and serves her patients by investing in long-term relationships.
A Magna Cum Laude graduate of the University of Maryland’s prestigious Baltimore College of Dental Surgery, Dr. Thapar-Dua completed a general practice Residency with the Veteran’s Affairs Medical Center in Washington, DC. She is continually dedicated to advanced, postdoctoral study. Advanced training allows her to provide patients with a health-centered and aesthetically pleasing approach to family dental care.
Formerly, Dr. Thapar-Dua co-owned The Mobile Dentist, which serviced more than 50 senior living communities throughout Maryland and the DC area. Having spent a large portion of her career focusing on the special needs of senior patients, Dr. Thapar-Dua’s experience in geriatric dental care is profound. To go beyond mobile dentistry, Dr. Thapar-Dua introduced SENIOR Smile, a service that takes the dental office into senior centers and residences to provide comfortable, personalized dental care.
Where You Can Find Me Making A Difference:



Beth receiving the Governors Citation Award
Are you the parent or caregiver of a young adult struggling with emotional or mental health challenges?
Join a supportive, non-judgemental space where you can connect with others who understand.
What We Offer:
Parent Support & Share Experience
Coping Tools & Resources
Understanding the Mental Health System
Emotional Relief Throught Connections with Families of Young Adults Living With:
Chronic Mental Illness, depression, bipolar, schizophrenia, OCD, autism, emotional deregulation or instability.
Anxiety, trauma, other long-term chanllenges
We’re launching our first Parent Support Group now. Timing and format will be based on what works best for YOU. In-person or virtual • Weeknight or weekend • Day or evening • We’ll decide together! To Inquire contact: balbaneze@housecallstotalwellness.com



Meditation and acupuncture are two ancient practices known for their profound impact on mental and physical health. Meditation involves focusing the mind to achieve a state of calm and awareness, offering numerous benefits such as stress reduction, improved concentration, and emotional well-being. Acupuncture, a key component of traditional Chinese medicine, involves inserting thin needles into specific points on the body to balance energy flow, alleviate pain, and promote healing. How To Master Meditation With Acupuncture is a guide that explores how these practices can be combined to enhance overall well-being.
Combining these practices can amplify their individual benefits:
Enhanced Relaxation: Acupuncture can help deepen your meditation practice by promoting relaxation and reducing physical tension.
Improved Focus: Meditation enhances mental clarity, which can make acupuncture sessions more effective.
Balanced Energy: Both practices together help harmonize the body’s energy, leading to better
health outcomes.
The synergy between meditation and acupuncture creates a powerful tool for self-care and overall well-being.
Understanding Meditation and Its Techniques
Meditation is an ancient practice that helps you clear your mind and find emotional peace. It involves concentrating on something specific, like your breath or a guiding image, to improve your focus and awareness. Read on so you can better understand how to master meditation with acupuncture.
Common Meditation Techniques
Here are some popular meditation techniques:
Breath Awareness: This technique involves focusing on the breath. You pay attention to each inhale and exhale, which helps bring your mind back to the present moment whenever it wanders.
Guided Imagery: In guided imagery, you follow along with a mental visualization led by an instructor or audio recording. This method can help you relax by imagining peaceful scenes and scenarios.
Mindful Meditation: This practice encourages you to be fully present in the moment. It involves observing your thoughts and feelings without judgment, promoting a deeper understanding of yourself.
Knowing how to meditate properly can help you incorporate acupuncture into your wellness routine. Each method has its own benefits and can be customized to suit your needs and preferences.
To continue reading this article, please visit: https://yhm.news/WAA

de Vicq, Mac, lac www.westaNNapolisacupuNcture.coM 410-375-9716 Committed to Healing to Achieve Lasting Well-Being



a Breast Form and Bra that works well with your Active and Sporting Lifestyle
The Active Form’s innovative design provides a comfortable wearing experience to fit your everyday needs... perfect for swimming and exercise.
The Active Bra is a front closing, wire free, racer back style with zipper cover and removable shaper pads.
Come in to see these and other active styles at Fran’s Nu Image Call to schedule an appointment Now acceptiNg aetNa, aNd Blue cross/care First. practiciNg iN MarylaNd siNce 2004. 703 GiddinGs Avenue suite u3, AnnApolis, Md 21401 treat health coNcerNs with acupuNture


(located inside of Hol-Body Yoga Studio)
Family Wellness Services
• Natural and Herbal Remedy Consults
• Family Planning
• Childbirth Education
• Natural Healing Education
Women’s Health/Womb Wellness
• Birth/Postpartum Doula Services
• Fertility Support
• Womb Meditation
• Womb Massage
• Vagi/Yeni Steams
Spiritual and Mental Wellness
• Etheric Touch Sessions
• Reiki Sessions
Coming Soon:
• House Blessings
• Divinations
• Doula Training begins October 2025 for in person and virtual classes
Shirleta Henson McKann
443-265-9393
319 Crain Highway
S. Glen Burnie, MD 21061
Open on Tuesdays by appointment only
Facebook: DReM’s Legacy Holistic Wellness Center
Instagram: @drems.legacy.holistic.wellness


By Rachel Jordan, DNP, APRN FNP-BC, ACHPN, Director of Advocacy & Legislative Affairs
I talked with my grandmother all the time. We were very close, so even when I was going to school eight hours away from home I still spoke with her often on the phone. While I was away, she got cancer. Soon, I noticed our conversations were different. So,

I got on a bus to drive home. When I got there, I found her in a hospital bed in her living room with a hospice nurse and a social worker. My family had kept things from me to protect me. But it had done the opposite. Seeing my grandmother so sick and so weak was so upsetting.
The nurse and social worker had with me what I now call a courageous conversation. They talked about what was happening with my grandmother. I was 16. That was my first exposure to hospice and palliative care. I had already decided that I wanted to be a nurse and a caregiver, but it was in that moment that hospice professionals supported me. I decided that I would want to give that kind of support to others.
When I’m having courageous conversations as a medical professional, I figuratively take off the white coat and scrubs, because death and dying is not a medical event for most people. It is a human experience. You must have courage to share bad or devastating information without hiding behind medical jargon.
When I’m having courageous conversations in the community, I literally take off my white coat and scrubs. Especially in churches, where it’s a sacred space to talk about transitioning to end of life. You need to do some research and learn about the culture you’re walking into.
Courageous conversations are not all doom and gloom. They’re a gift to your family to help them prepare for the time that you will no longer be here. Research shows families whose loved ones had advanced directives and conversations before they transitioned experience less anxiety, less depression and less of a burden at the end of life.
A courageous conversation can be uncomfortable, unexpected and unwanted. But it’s necessary. Talking about life-limiting illness and death before it happens means accepting that this will happen to you or someone dear to you. Once you have these conversations, the door is open to preparing for every milestone in your life. Not just education, marriage, children and career, but the final milestone of your death.




By Joyce Abramson, RNMS Charles County Freedom Landing
Everyone experiences anxiety or stress during their lives. Some anxiety is actually helpful. It moves us to action. It can make us study more for an exam or intensify practice prior to an important presentation.
If you have an anxiety disorder, this normally helpful emotion can do just the opposite. It can prevent coping and disrupt lives.
Anxiety disorders are not just a bunch of nerves. They are illnesses, often related to the biological makeup and life experiences of the person. The disorder appears to run in families. There are several types of anxiety disorders each with its own features.
Generalized anxiety disorder, panic disorder, phobias related to anxiety, and obsessive compulsive disorder are the most prevalent anxiety disorders documented by the National Institute of Mental Health. It appears with recent

A psychiatric rehabilitation program offering a day component, residential, vocational and in-home support services.

Let us show you how to move from the solitude of symptoms to the freedom of achievement.
NOW OFFERING: Wellness and Recovery
Community Center - This is a program that provides support from peers for both mental health and substance use disorders for people actively working on their recovery.
PO Box 939, La Plata, MD • 301-932-2737 • 301-870-3969 • Fax 301-932-2803

of cannabis. We have selected the highest quality product, tested and certified, for it’s safety and effectiveness. Each of our Dispensary agents are highly trained in the science of this product and are here to help you select the best solution for your needs.
research that the anxiety may occur due to the increased sensitivity in a part of the brain called the locus ceruleus.
Many people misunderstand these illnesses and think that they can be overcome by sheer willpower. Wishing away the symptoms would be great but does not work. There are treatments that can help. Generalized anxiety disorder (GAD) is much more than the normal day-to-day stress we usually experience. It is chronic, exaggerated tension with no obvious reason creating such an intense response.
Experiencing GAD means anticipating the worst, often worrying excessively about health, money, family, or work. Individuals with GAD cannot relax, or shake the sense of constant worry even when they realize it is unwarranted.
Often, there is difficulty sleeping and physical symptoms develop. Trembling, muscle tension, irritability, headaches, sweating, nausea or feeling out of breath can be associated with the disorder.
Usually impairment related to GAD is mild in comparison to the other anxiety disorders, although this is not

Joyce Abramson, RNMS
always the situation. When severe, the anxiety makes it very difficult to carry out routine activities. GAD develops gradually and often during childhood or adolescence, but can begin in adulthood. It is more common in women.
Successful treatment may involve medication such as buspirone, cognitive behavioral therapy, relaxation techniques, and biofeedback for muscle tension.
If you or someone you know has intense symptoms of anxiety, a visit to the family physician can help evaluate if symptoms are due to an anxiety disorder or other medical conditions or both. Once the diagnosis is determined, appropriate treatment or referral to a mental health professional can be made for additional healthcare.

By Sharron Sample, CFO Dispensary Works
There is a very wide range of opinions about cannabis use for medical or recreation – from 100% supportive to completely against it. It’s very difficult to navigate the range of information in social media. What we do know, is that it is becoming more the “norm” in younger people with sharp uptakes in women’s use, and that many derive benefits form its use.
So, why are more women turning to cannabis? What products are trending? What are the perceived benefits of cannabis for women? Of this group,
baby boomers seem particularly attracted to CBD products, including face and body creams and bath bombs. Improved health and wellness appear to be significant factors in the rise of cannabis use in popularity among women. In fact, many women are now using cannabis as a routine part of their self-care.
More women are turning to cannabis to relieve chronic pain, soothe aches and pains following a workout, alleviate depression and anxiety, improve sleep quality, and ease the symptoms associated with menopause.
These benefits also made women less likely to use pills for symptomrelief. One study reported that 71% of female cannabis users said that they’ve decreased purchasing of over-the-counter medication, and 35% revealed a decline in prescription drug use. Women are more likely to use cannabis in edible form vs. smoked form.
Some cautionary notes: Smoking Please see “Cannabis,” page 66
Studio 5 Hair Gallery Specializing in Restoring & Enhancing Your Hair’s Natural Beauty
Located in scenic Southern Maryland, Studio 5 Hair Gallery is well known in the medical community for customized solutions for hair loss. We provide the finest synthetic and human hair wigs, hair extensions, and top-of-the-head hairpieces. For over 12 years, Studio 5 Hair Gallery has served its clients with compassion and excellence. call 301.884.3553 for your appointment today! Please mention this Flier when setting up your appointment.

Men’s & Women’s Hair Systems • Extensions
Studio 5 Hair Gallery hair replacement specialists are empathetic to your needs at this difficult time and will do everything possible to make you feel comfortable.














A neck lift can be performed for men and women of varying ages who are often frustrated by changes of the appearance of their neck and jawline. Depending on your age, a neck lift can be a short one-hour procedure to remove fat or a 3-hour procedure to remove fat, visible neck bands, and excess skin.
Remove Excess Skin (Cervicoplasty) • Liposuction to Remove Excess Fat
Remove or Alter Neck Muscles (Platysmaplasty)
Liposuction can be performed alone or with surgical removal of the fat under the chin through a small incision under the chin.
In patients with vertical bands in the neck, a platysmaplasty can be performed to reduce the appearance of the bands.
Sometimes a chin implant is recommended to improve the overall contour and help with excess skin.































By Yemi Adesanya-Famuyiwa, MD Montgomery Fertility Center
Understanding the Female Reproductive System Is Crucial For Appreciating the Wonders Of Life Creation.
The fallopian tubes, also known as uterine tubes, are a pair of slender, tube-like structures located on either side of the uterus. They are approximately 10–14 centimeters long and are lined with ciliated epithelial cells, cells that have fine hair-like extension on their top surface. The fallopian tubes consist of several sections, including the infundibulum
(the funnel-shaped end), fimbriae (finger-like projections), ampulla (the middle and widest part), isthmus (the narrow portion), and the uterine opening.
The primary functions of the fallopian tubes are vital for successful reproduction:
During ovulation, a mature egg is released from one of the ovaries. The fimbriae at the end of the fallopian tubes help capture the egg, drawing it into the tube.
The fallopian tubes provide an optimal environment for fertilization to occur. The cilia lining the tubes create a gentle current that propels the egg towards the uterus, while also helping to move sperm in the opposite direction. Think of the tube as a conveyor belt that is in constant motion to move the eggs and embryo towards the uterus.
The fallopian tubes assist in the movement of sperm towards the egg. Sperm can survive in the fallopian
Please see “Fallopian Tubes,” page 65

Kensington Pharmacy
Heartburn occurs when stomach acid flows in the opposite direction, moving upward into the esophagus. This backward movement is known as reflux. You don’t have to suffer silently. Consult your pharmacist regarding heartburn and inquire about lifestyle changes, as well as prescription and over-the-counter (OTC) medications that can provide relief.
To determine if you have heartburn or a more serious condition, consider the following questions:
• Do you experience warmth or pain at your breastbone after meals?
• Do you sometimes taste acid at the back of your throat?
• Have you ever felt that food is regurgitating into your mouth?
• Do these sensations intensify when you lie down?
• Do antacids or OTC acid blockers alleviate these symptoms?
If you answered yes to any or all
of these questions, it indicates that you have heartburn.
Is your heartburn severe? Do you experience it two or more times per week? Has it persisted for several months? Despite regularly taking medications, does it continue to reoccur? If you answered yes to these questions, you may have a more serious problem.
Let’s debunk three common myths about heartburn:
• Myth #1: Heartburn is insignificant.
• Fact: Heartburn can significantly impact your daily activities and their execution.
• Myth #2: Heartburn is your fault.
• Fact: You didn’t cause it, but you can reduce its pain and inconvenience.
• Myth #3: Heartburn is not a serious medical issue.
• Fact: Heartburn can progress and lead to more severe problems, such as inflammation, ulcers in the esophagus, and changes in esophageal lining.
Never ignore severe or persis-
Please see “Heartburn,” page 65

Our mission is to assist our patients in creating the families of their dreams, whether it be at the present or to maintain the possibility in the future.
Medical Director Dr. Famuyiwa, a double board certified fertility specialist and an advocate for personalized holistic fertility care, is at the forefront of providing state-of-the-art care based on emerging and advanced new technologies in the most compassionate of manners.

By Janet V. Johnson, MD Loving Care Pediatrics
The American Academy of Pediatrics (AAP) suggests limiting a child’s screen time, including TV, movies, video games, and computer games, to one or two hours per day. It is also advisable to encourage your child to engage in reading activities.
Looking to foster a love for reading? Control screen time, start early, read books aloud together, visit the library, and set a positive example. These are the best recommendations, but here are a few creative ideas and quick tips
to inspire both new and seasoned readers. During the summer, encourage your child to read at least four books for fun, which can help improve their reading speed and comprehension.
Capture Their Interest In the Story
Begin by reading aloud together to capture their interest in the story. For long car trips, play audio recordings of books.
Spark their curiosity by reading aloud something you think they might find interesting, and then share an intriguing tidbit that would entice them to read with curiosity and delight.
Make It Social and Fun
For children who are just learning to read, have them read aloud to a pet, stuffed animal, or younger siblings who are not yet mobile.
Turn reading aloud into a game and have everyone, including children, guess what will happen next.
Use Books As Treats
Make reading a reward and let kids
Please see “Reading,” page 65

I


many others, please call the office at 301403-8808 to schedule a visit. We look forward to seeing you at Loving Care Pediatrics— Janet Johnson MD and Staff.
to be recognized in the
Continuity Clinic Awards from 1991 to 1993 based on partic ipation and involvement in community clinics during my residency training.
In addition, I am dedicated to volunteering my time to community outreach projects, youth groups, health fairs, various church functions and committee boards as well as for those who are less fortunate. Donating of my talents, time and treasures and giving back and serving those who are in need. I am an active member in The Prince George’s Community Advisory Group and served as the Medical Director for the Mid-Maryland Mission of Mercy two day free Dental Clinic sponsored by Catholic Charities Archdiocese of Washington in August 2013.
serves for compassionate patient service, and clinical excellence. To create a caring environment with a commitment to foster a work environment where individual diversity is valued and recognized, also where the satisfaction of all patients regardless of their background is the fundamental goal of our every action, with the practice of medicine being recognized and honored as a uniquely noble pursuit.
I have been in Private Practice for 22 years. I practice general pediatrics: examining, diagnosing and treating most of the diseases of children from birth to 21 years of age. With referral to specialists when the need arise. The practice is certified by the Prince George’s Health Department to administer Yellow Fever Vaccination. The practice provides vaccines for overseas travel to those individuals traveling out of the country and in need of an official certificate of vaccination (Yellow Book).
I make every attempt to ensure medical care to my patients is as convenient as possible. If your child becomes ill during the night you may contact the office via the answering service and speak with me for an emergent next day appointment. We also have same day appointments. Most insurances are accepted including: Aetna, Care first Blue Cross, Blue Choice, Amerigroup, Americhoice United Health care, Teamsters, Tricare, most government plans, Maryland Medicaid, self-pay, and
Practice Philosophy Janet Johnson MD and Travel Health Medicine is committed to servicing its patients, parents and community by providing excellent and compassionate health care service to a culturally diverse population that promotes the dignity and well-being of the people we serve.
Vision Statement Janet Johnson and Travel Health Medicine goal is to be recognized in the community it serves for compassionate patient service, and clinical excellence. To create a caring environment with a commitment to foster a work environment where individual diversity is valued and recognized, also where the satisfaction of all patients regardless of their background is the fundamental goal of our every action, with the practice of medicine being recognized and honored as a uniquely noble pursuit.
Company Values Core Values
These core values bring to life our mission and place special demands on how we behave.
Integrity: We are consistent and honest in word and deed. Commit to the highest standards of ethical conduct, respect, competence and safety.
Quality: We provide service excellence in meeting client expectations. We ensure commitment to excellence for our patient and communities.
Respect: We behave in a way that honors self and others. There

By Quansheng Lu, CMD, PhD, LAc Wholelife Chinese Medicine & Acupuncture Center
What Does Lower Back Pain Entail?
Approximately 80% of adults in the United States experience lower back pain at some stage in their lives.
Acute back pain typically lasts from a few days to a few weeks, while chronic

back pain can persist for over three months. Various factors can cause lower back pain, with muscle strain and degenerative disc disease being the most common culprits.
In accordance with traditional Chinese medicine theory, external factors like extreme weather, injury, and excessive sexual activity can lead to a blockage of Qi and blood. This blockage
Guest professor, Henan University of Traditional Chinese Medicine (TCM) Chief TCM Physician, WFCMS; M.S. in TCM, Beijing University of TCM PhD in integrated medicine, China Academy of Chinese Medical Sciences Fellowship, Georgetown University & Children’s National Medical Center 3 patents, 8 books of TCM, 30 papers, 30+ years of experience in TCM Wholelife Acupuncture & Fitness Center
Quansheng Lu, CMD, PhD, L.Ac www.wholelifeherb.com • luquansheng@gmail.com
is believed to manifest as low back pain when it occurs in the lower back. Traditional Chinese Medicine (TCM) encompasses various modalities, including Chinese herbal medicine, acupuncture, moxibustion, cupping, scrapping, tui-na, qi-gong, and exercises. Acupuncture and Chinese herbal medicine are the primary components of TCM.
Can Acupuncture Effectively Alleviate Lower Back Pain?

effective than sham treatment and no additional treatment. The study concluded that acupuncture may effectively relieve chronic low back pain.
eczema
Hungerford Drive, #300 Rockville, MD 20850




Lower back pain significantly impacts daily activities and is the second most common reason for seeking medical attention. Previous studies have shown widespread use of acupuncture for treating lower back pain. A metaanalysis was conducted to evaluate the effectiveness of acupuncture in this regard. The analysis included 33 randomized, controlled trials that met the inclusion criteria. The trials were categorized based on the nature of the pain (acute or chronic), style of acupuncture, and type of control group used. For the primary outcome of short-term relief from chronic pain, the meta-analyses revealed that acupuncture was significantly more
How Many Acupuncture Sessions Are Required and How Often?
For acute back pain, usually 1-3 sessions are recommended, while for chronic back pain, the number of sessions typically ranges from 6 to 16, depending on the individual situation. Twice-weekly sessions are advised for optimal treatment outcomes.
Is Acupuncture a Safe Treatment?
Yes, acupuncture is considered a safe therapeutic approach. However, there may be occasional side effects such as dizziness, localized internal bleeding, dermatitis, nerve damage, and increased pain, particularly if the acupuncturist is not adequately trained.

there is often a dense knot of skin known as a core. This core is located over the area that experiences the most friction or pressure and can exert pressure on a nerve, causing sharp pain.
Hard corns are firm and dry, developing on the upper surfaces of the toes. Soft corns, on the other hand, are pliable and moist, forming between the toes. Corns usually develop when the foot is squeezed into
narrow-toed shoes. They can also occur on deformed toes that cannot fit comfortably in regular shoes.
Small corns or calluses on the feet may not cause any symptoms. However, large and bulky corns or calluses can lead to foot pain and difficulty walking. Prolonged irritation can result in discoloration (brown, red, or black) beneath a large corn or callus. This discoloration arises from slight bleeding in the space between the thickened and normal skin. In severe cases, the thickened and normal skin may separate, exposing the area to potential infection, especially in individuals with diabetes.
Your podiatrist or doctor will inquire about your footwear, as narrowtoed shoes are more likely to cause corns. They will also ask about your foot history, medical conditions (including diabetes and circulation problems), and any previous foot surgeries or injuries. Certain foot problems can affect foot mechanics, leading to abnormal pressure in specific areas and resulting in calluses. Additionally, prior foot surgery or trauma can impact the
Please see “Calluses,” page 65

Submitted by E. Taylor Meiser, DDS
Lighthouse Family Dentistry
A significant portion of individuals who visit the dentist simply want their teeth cleaned. However, many people are unaware that while clean teeth typically indicate good oral health, what occurs beneath the gumline is equally, if not more, important than what is visible.
Periodontal disease, formerly known as pyorrhea in its advanced stages, affects over 75% of the U.S. population in some form. It is highly likely that you have areas of gum
disease in your mouth. How can you determine this? Schedule an appointment with your family dentist.
Periodontal disease manifests in various forms and stages, ranging from reversible gingivitis (characterized by bleeding gums) to advanced generalized periodontitis (involving pus, bone loss, and loose teeth). A crucial aspect to note about periodontal disease is its progressive nature. It starts as a mild condition and worsens over time unless recognized and treated.
Regular dental checkups and cleanings can prevent or halt the progression of periodontal disease. Your family dentist can effectively treat early-stage periodontal disease. If more severe areas of disease are detected, a referral to a periodontist (a gum specialist) will be recommended. Ignoring periodontal disease is not advisable, as it does not resolve on its own and only worsens over time. It is also essential not to underestimate the significance of periodontal disease. Recent studies have established strong Please see “Cleaning,” page 63

Sleep plays a critical role in physical and mental health, but women often experience more difficulty achieving restful, uninterrupted sleep than men. This isn’t just a matter of lifestyle or stress — biological differences, particularly hormonal fluctuations across a woman’s lifespan, significantly affect how women sleep.
Throughout the menstrual cycle, changing levels of estrogen and progesterone can influence sleep quality. Many women report insomnia, restless sleep, or vivid dreams in the days leading up to menstruation. These symptoms may be more pronounced in those with premenstrual syndrome (PMS) or premenstrual dysphoric disorder (PMDD), which can disrupt both mood and rest.
During pregnancy, sleep often becomes more fragmented. In the
first trimester, increased progesterone levels can lead to excessive daytime sleepiness. As pregnancy progresses, physical discomfort, frequent urination, leg cramps, and vivid dreams can make sustained sleep difficult. Some women also develop sleep apnea or restless legs syndrome (RLS) during pregnancy, even if they never had these issues before.
Menopause and perimenopause bring another wave of changes. Declining estrogen levels can contribute to hot flashes and night sweats, which frequently interrupt sleep. Many women in midlife also experience increased insomnia and lighter, more fragmented sleep. Sleep apnea risk also rises after menopause, sometimes without the classic snoring that typically signals the condition in men.
Outside of hormonal shifts, women are more likely to be diagnosed with insomnia and report higher rates
Please see “Restless Nights,” page 66
Over 70 million Americans suffer from sleep disorders. Sleep problems affect both sexes, all races and all age groups.
Left untreated, sleep disorders can pose serious threats to your health. Heart attack, heart failure, irregular heartbeats, stroke, diabetes, hypertension, acid reflux, attention deficit disorder and depression are conditions associated with sleep problems. At Annapolis Asthma, Pulmonary & Sleep Specialists, we provide expert diagnosis and treatment to help you achieve restful, healthy sleep.














oral health. But perhaps the biggest surprise about the all-on-four is how quickly it can transform your life.
What’s The All-On-Four Dental Implant Procedure Like?
First, either local or general anesthesia will be administered.
Second, the dentist or surgeon will prepare your mouth for the implants, which involves removing your remaining teeth that are failing. They will then remove any diseased or infected tissue from your jaw and gums.
Next, they will insert the titanium screws into your jawbone. Most likely,
of rice. This allows for use and metabolism of the hormones in a way that optimize benefits and reduce the risk of adverse effects.
While some women do very well in menopause with just a few symptoms, the majority have a very difficult time with it. Common symptoms (which can be alleviated by pellet therapy) include hot flashes, night sweats, sleep disturbances, brain fog and mood issues such as anxiety anger and irritabllity, weight gain, joint pain, absence of libido, osteoporosis, vaginal dryness and hair loss.
Men who go through andropause with a reduction in testosterone production also have many of these same symptoms. It is important to make sure that men with low testosterone levels are evaluated for other medical issues such as sleep apnea, obesity, head trauma and pituitary problems which can be causes of low testosterone.
While testosterone is generally thought of as a male hormone, prior to menopause women actually produce more testosterone than estrogen. Uti-
due to abnormal function of the foot, or a slight difference in the length of the legs. In such cases, orthotics may improve or eliminate these symptoms, which may seem only remotely connected to foot function.
Soft Orthotics
Soft-orthotic devices help to absorb shock, increase balance, and take pressure off uncomfortable or sore spots. They are usually constructed of soft, compressible materials.
The advantage of any soft orthotic device is that it may be easily adjusted to changing weight-bearing forces. The disadvantage is that it must be periodically replaced or refurbished. It is
16
they will place two implants toward the front of your mouth and two towards the back of your mouth so the “anchors” can evenly bare the force of the denture.
After the implants have been placed, they will thoroughly clean the surgical sites and suturing all the incisions. Then you’ll be taken to a recovery room where you can relax and take time to wake up from the anesthesia.
Schedule a consultation with an All-On-Four provider. It’s the best way to find out how dental implants can change your life.
lizing both testosterone and estradiol as pellets along with oral progesterone allows for improvement in sleep, decrease in hot flashes and night sweats, heightened libido and sexual pleasure, and a greater sense of well being. Judicious use of hormones greatly improves cardiovascular health, cognitive function, and bone health. The doses of the hormones are customized to each individual patient based on their labs, health history and other metrics.
The most common concern about this type of therapy is regarding cancer and blood clots. Bio-Identical Hormone Replacement done correctly (specifically not using oral estrogne does not increase the risk of breast cancer and actually may decrease the risk of invasive breast cancer, and unlike in oral hormone therapy there is no increased in risk of blood clots.
The choice to utilize the option of hormone therapy is an individual one and should be reviewed with a physician that is experienced and that you trust. Using the lowest effective dose can make an enormous difference in one’s health.
particularly effective for arthritic and grossly deformed feet where there is a loss of protective fatty tissue on the side of the foot. Because it is compressible, the soft orthotic is usually bulkier and may well require extra room in shoes, or prescription footwear.
Semi-Rigid Orthotics
The third type of orthotic device (semi-rigid) provides for dynamic balance of the foot while walking or participating in sports. This orthotic is not a crutch, but an aid to the athlete. This functional dynamic orthotic helps guide the foot through proper functions, allowing the muscles and tendons to perform more efficiently.
persists, conservative treatments like orthotics, physical therapy, or activity modification may offer relief. However, when structural damage becomes severe or limits mobility, surgery may be necessary. Surgical procedures can address conditions like bunions, hammertoes, neuromas, or chronic tendon
problems—restoring function and improving quality of life.
While style matters, long-term foot health deserves equal attention. By making smart footwear choices and addressing problems early, women can stay active, comfortable, and pain-free.
vided significant relief from her chronic pain. “The oxygen was so good. I mean, that was the first thing that, really like, I had no pain,” she recounted.
After her recovery, Richardson experienced a life-changing dream that inspired her to create a comprehensive health and wellness center in Calvert County. This vision became Elon Roshell Day Spa & Health, featuring an array of services designed to promote natural health and wellness, including an oxygen bar, hyperbaric chamber, and a signature salt cave.
The salt cave is a central feature of Richardson’s spa. Constructed with real salt bricks, the cave offers a serene environment where visitors can experience the benefits of inhaling medicalgrade salt. These benefits range from improved skin health and respiratory relief to overall relaxation. “It’s good for your skin. If you have eczema, it’s good
FRom page 10
for different skin conditions. Also your lungs. For me, I have asthma. And after having this, I haven’t had to really carry my inhaler,” Richardson explained.
Elon Roshell Day Spa & Health offers a variety of wellness services, including massage therapy, facials, waxing, oxygen therapy, red light therapy, infrared sauna, and ionic foot baths. This holistic approach addresses both physical and mental well-being, providing a comprehensive healing experience.
Elambert Richardson also hosts a weekly Wellness Wednesday event at the spa. For just $25, attendees can experience the salt cave and participate in free small group health and wellness events. These events, largely led by Jeanette Umstead, a health coach at the spa, focus on Bible-based teachings of the 8 laws of health. These teachings emphasize principles such as a plantbased diet and the importance of rest, believed to contribute to long lifespan and overall well-being when followed.
known as belly breathing, involves inhaling into the belly, then the lungs, and exhaling with pursed lips. Alternatively, techniques like 3-5-8, where you inhale for 3 seconds, hold for 5 seconds, and exhale for 8 seconds, are also simple options.
2. Butterfly Hug – a grounding, crossed-arm technique, gentle tapping on the shoulder or upper chest to soothe and pacify the central nervous system. https://www.youtube.com/watch?v=iGGJrqscvtU.
3. Receive a Massage – ancient medicine for the body and mind to let go, be present, and lessen stress.
4. Allow Nature to Nurture – appreciate the green of trees and colorful flowers, and witness a breathtaking sunrise or sunset.
5. EFT – Emotional Freedom Technique taps into the acupressure and brain integration points for a swift emotional shift to relaxation. www.thetappingsolution.com.
6. Take a Hot Epsom Salt Bath – sip
on lavender/chamomile tea while letting go of tension courtesy of magnesium.
7. Relax in a Yin Yoga Class –stretching on the floor with breathwork and stillness.
8. Smile – encourages happy hormones and elevates the mood.
9. Laugh and Hang with Friends –feeling safe and happy with your gals enhances joy and connection, while lowering cortisol.
10. Prayer/Spirituality – pausing to pray enables an outward expression toward another, giving comfort, while acknowledging God’s grace and guidance.
Embracing many of these above suggestions has enhanced my health, and I condensed even more relaxation tips in my book, The Pause to Relax on Amazon. The link between women’s heart health and high levels of stress is profound but these proactive tips can balance that seesaw of life so there is stability! http://yhm.news/younghearts-at-risk
hormones (ghrelin) and decrease satiety hormones (leptin), making overeating more likely. For women trying to manage weight, getting enough quality sleep can support healthier eating habits and improve the body’s ability to burn fat.
Immune Function and Disease Prevention
A strong immune system starts with sleep. Women who consistently get less than 7 hours of sleep per night are more susceptible to illnesses and chronic conditions such as heart disease, diabetes, and autoimmune disorders. Sleep helps the body fight off infections and reduce inflammation.
Beauty and Skin Health
The phrase “beauty sleep” isn’t just a cliché. During deep sleep, the body repairs and regenerates skin cells. Collagen production increases, helping to
reduce wrinkles and maintain skin elasticity. Proper sleep can result in brighter, healthier skin and fewer breakouts.
Reproductive Health and Aging
Women going through menopause or pregnancy may experience disrupted sleep due to hormonal changes. Prioritizing sleep during these times is essential for easing symptoms like hot flashes, fatigue, and mood swings. Over time, consistent sleep also supports healthy aging and cognitive resilience.
Final Thoughts
Prioritizing sleep isn’t a luxury— it’s a necessity. Women should aim for 7–9 hours of uninterrupted sleep each night and address sleep disturbances early. Whether you’re managing stress, balancing hormones, or pursuing weight loss, sleep may be the most powerful (and free) tool in your health arsenal.
function (hypothyroidism) is more common in women over 40 and shares many symptoms with menopause.
Ask your provider about a full thyroid panel, including TSH, free T3, free T4, and thyroid antibodies—especially if you’ve been told “everything looks normal” but still feel off.
Midlife may be full of change, but it’s also a time of wisdom and strength. You deserve to feel like yourself again—and that starts with awareness and action.
• Track your symptoms: Write down what you’re feeling physically and emotionally. Patterns matter.
• Advocate for comprehensive testing: Hormones, thyroid, and adrenal
function are all connected.
• Support your body:
• Eat whole, nutrient-dense foods that balance blood sugar and fuel metabolism
• Prioritize strength training and stress-reducing activities like yoga or walking
• Create a calming nighttime routine to promote deeper, more restorative sleep
You’re Not Just “Getting Older”—You’re Evolving
Midlife is not the end of vitality—it’s a transition into a new kind of strength. If your body feels unfamiliar, listen to it. With the right care, you can move through this chapter with clarity, confidence, and renewed health.
Whether you’re undergoing a complex procedure or a routine dental treatment, your peace of mind is our priority.
Patient-Centric Approach: At Total Dental Care, we prioritize your comfort with a patient-focused approach, offering amenities such as heated chairs with massage features, ensuring a relaxed experience. Our team is dedicated to fostering a positive dental experience, emphasizing
connections between periodontal disease and heart disease, diabetes, and complications during pregnancy. Therefore, when you visit your family dentist for a routine cleaning and
into easily digestible molecules.
3. Boost Caloric Expenditure: Recent studies indicate that consuming 50 fluid ounces of cold water can potentially burn up to 50 extra calories per day, supporting your weight loss efforts.
4. Maintain Vitality: Insufficient fluid intake forces your body to extract moisture from tissues, leading to thickened blood and added strain on your heart. Staying hydrated helps sustain your energy levels, preventing weakness, grogginess, or lightheadedness.
5. Aid in Digestive Health: Water assists in the absorption of nutrients while facilitating the removal of waste products from the intestines. It neutralizes stomach acids, protecting the stomach lining and promoting optimal digestion.
6. Essential Component of the Body: Water comprises a significant proportion (70%) of our body weight, serving as a vital chemical building block.
are 80-100 pounds overweight and are undergoing treatment for obesity-related diseases. Generally, patients weighing 250-300 pounds and above fall into this category. Current weight loss procedures include gastric bypass, sleeve gastrectomy, and gastric band.
The primary outcome of weight loss surgery is the restoration of health. Many patients shed excess weight and witness the resolution of
7. Regulate Body Temperature: Hydration plays a crucial role in maintaining muscle and skin tone, while creating a moist environment for the tissues of the ear, nose, and throat. It cools the body and promotes overall comfort during warm weather.
8. Eliminate Toxins: Water effectively flushes out waste products by dissolving excess salt and urea in the kidneys, aiding their elimination through urine.
9. Activate Enzymes: Proper hydration activates essential body enzymes, ensuring optimal cellular function and overall physiological well-being.
Embrace the Rewards Of Hydration
Now that you’re aware of the myriad benefits of proper hydration, seize the opportunity to stay adequately hydrated as you embark on your summer adventures. Make the most of this season’s activities while enjoying the refreshing and revitalizing effects of optimal hydration. Cheers to a hydrated and invigorating summer!
page 25
their medical issues, often eliminating the need for medications. Consequently, they are able to enjoy life in ways previously hindered by their weight. These once-feared procedures have evolved to become minimally invasive and relatively safe, comparable to other surgeries. Success in weight loss surgery, as well as other weight loss endeavors, relies on a lifelong commitment to healthy lifestyle choices.
the appliance secure.
communication and education to empower patients in making informed decisions about their oral health.
Total Dental Care stands as a beacon of excellence in dental health, providing total solutions for patients seeking comprehensive, detail-oriented care. Experience the difference with our wide range of services and patient-focused approach, ensuring your journey to a healthy smile is seamless and satisfying.
FRom page 59
the hygienist and/or doctor inform you that you exhibit signs of periodontal disease requiring more than just a cleaning, it is important to listen and pursue the necessary treatment for your oral health.
Overdentures improve stability and functionality to 60% compared to natural teeth, they are relatively inexpensive, and easy to clean.
Some people find them uncomfortable, and they may cause sore spots on gum tissue. Although they are fairly stable they may still move when chewing or speaking, and may require relines to improve fit and comfort as bone in the jaw deteriorates.
All-On-4
Bridges are permanent restorations attached onto teeth or implants, supporting false crowns in the areas of missing teeth. The biggest difference between an All-On-4 appliance and an overdenture is that the All-On-4 appliance is permanent – you never have to
FRom page 18
take it out, and it improves functionality to 90% compared to natural teeth versus 60%. Other benefits are that this appliance eliminates the need for bone grafting: your dentist can provide a temporary bridge the same day of your surgery; it preserves bone and soft tissue; they never decay (95% success rate over 30 years); they are very natural looking, allowing you to eat the foods you want; and you are able to clean fixed bridges like natural teeth – inside your mouth.
Traditional
Traditional fixed bridges replace root and teeth, preserve bone and soft tissue, improve functionality to 90% compared to natural teeth, and you can also clean them as you would natural teeth – inside the mouth.
Eastern Medical Holistic Healing Center – Angel Wood – 240-755-5925 –www.Acupuncture4Wellness.Webs.com.
West Annapolis Acupuncture – Brittney de Vicq, LAc, MAc – 410-375-9716 – BrittneyAcupuncture.com – Annapolis, MD.
CHINESE MEDICINE & ACUPUNCTURE
Quansheng Lu, CMD, PhD, LAc – www.WholelifeHerb. com – 301-340-1066.
CHIROPRACTIC
Kovach Chiropractic & Wellness Center – Alicia Kovach, DC – 410-697-3566.
Effective Integrative Healthcare – Crofton 410-774-0644 – Millersville 410-729-2200 –Lanham 301-577-6556.
DENTISTRY
Cosmetic Dental FX – Judy Yu, DMD, MBA – 410-3600440 – www.DentalFXMD. com – Pasadena, MD.
Lighthouse Family Dentistry –E. Taylor Meiser, DDS – 410224 4411 – Annapolis, MD. Karl A. Smith, DDS – Waldorf, MD – 301-638 -4867. Craig A. Smith, DDS – 7201 Hanover Parkway, Suite A, Greenbelt, MD – 301-4461784 – www.craigasmithdds. com.
McNelly Optical, Inc. – 410263-2692 – www.McNellyOptical.com – Annapolis, MD.
FERTILITY
Montgomery Women’s Fertility Center – 301-946-6962 –MontgomeryFertilityCenter. com – Rockville, MD.
HOME CARE
At Home Care, Inc. – 301421-0200 – AtHomeCareInc. com – Since 1977.
New Day Vitality Hormone Center – 410-793-5212 –Arnold, MD and Easton, MD – NewDayVitality.com.
INTEGRATIVE MEDICINE
Alan Weiss, MD, Annapolis Integrative Medicine – 410266-3613 – 1616 Forest Drive, Suite #3, Annapolis, MD 21403.
MEDICAL SPACE
Charles Feitel Company – 301571-9333 – www.MedicalandDentalSpace.com.
Perry L. Johnson – Local Medicare Specialist – 301-793-4571 pjohnson.perry@gmail.com.
MENTAL HEALTH SERVICES
Charles Co. Freedom Landing, Inc. – 301-932-2737 or 301-870-3969.
House Calls, LLC – 301346-6732 – CallingOnBeth@ gmail.com – www.CallingOnBeth.net.
Charles C. Reel, MD – Maryland Gait and Balance Disorder Center – Charlotte Hall, MD – 301-290-0395.
PAIN MANAGEMENT
Georgetown Pain Management – Netsere Tesfayohannes, MD, ABA, ABAP – 301-718-1082 – 8120 Woodmont Ave., Ste 560, Bethesda, MD – 7300 Hanover Dr., Ste 204, Greenbelt, MD.
Newbridge Spine and Pain Center – 301-638-4400 –www.NewbridgeSpine.com.
PHYSICAL THERAPY/ REHABILITATION
Active Physical Therapy. Various Locations across Maryland and Washington, DC. Active-physicaltherapy.com.
Bowie Foot Care – Howard Horowitz, DPM – 301-4645900.
Largo Foot and Ankle Health Center – Ade Adetunji, DPM – 301 386 5453.
PRIMARY CARE
Loving Care – Janet Johnson, MD – Hyattsville, MD – 301-403-8808.
Metro Prosthetics – 301-4590999 – www.MetroProsthetics.com
Brooke Grove Retirement Village – 18100 Slade School Road, Sandy Spring, MD 20860 – 301-260-2320 – www.bgf.org.
Chevy Chase Home Care. Help at a time you need it most. Any Ages. Any situations. Any shifts. MD, DC, VA – www.CHCHHomeCare. com – 202-374-1240.
St. Mary’s Nursing & Rehabilitation Center – 301-475-8000 – Leonardtown, MD – www. StMarysNursingCenter.com.
AA Urology – IR Center , 600 Ridgely Avenue, Suite #120, Annapolis, MD – Annapolis , 600 Ridgely Avenue, Suites #222-223, Annapolis, MD – East Campus Surgery Center, 600 Ridgely Avenue, Suite #130, Annapolis, MD – AA Urology – Odenton, 1106 Annapolis Road, Suite #250, Odenton, MD.
Glen Burnie , 305 Hospital Drive, Suite #303, Glen Burnie, MD – Bowie, 4201 Northview Drive, Suite #201, Bowie, MD – West Campus Surgery Center, 7855 Walker Drive, Suite #102, Greenbelt, MD –Greenbelt, 7855 Walker Drive, Suite #100, Greenbelt, MD. VETERANS
Charlotte Hall Veterans Home – 301-884-8171 – Waldorf, MD. WEIGHT LOSS
The Bariatric and Hernia Institute – Dr. Etwar McBean – 240-206-8506 – www.TBHInstitute.com.
Toni’s Happy Hour Yoga and Holistic Wellness Center –Toni Greene, Owner – 301449-8664.










1) Call 301-805-6805 with your name, contact info, and credit card payment for $24, or
2) Simply mail this form along with your check for $24:
Health Magazine 4201 Northview Dr. Suite 102 Bowie, MD • 20716
While some of the indications to receive this therapy are quite specific, the detoxifying nature of this therapy applies to many people wishing to simply maintain good health. The word “drainage” often has clients believing it will be an intense session, but the very opposite is true. The lymphatic vessels are close to the surface so the technique and level of pressure must be light and rhythmic to encourage the flow of lymph. This rhythmic movement is very relaxing to the central nervous system and therefore anyone suffering from stress, depression, or anxiety will benefit from this technique. A session typically begins at the neck and chest and guides the lymph fluid towards the major lymph node collection sites in the neck, axillary, and groin regions. Drinking a lot of fluids after a session is important, as well as gentle movement to encourage the flow of the lymphatic fluid.
Auto-immune conditions such as
rheumatoid arthritis, lupus, and multiple sclerosis are increasingly prevalent in the United States and are often difficult to treat effectively. Manual lymphatic drainage is one technique that can help individuals suffering from these conditions as it encourages a healthy immune response, clears stagnant lymphatic fluid from the tissues, has an analgesic effect, and is calming to the central nervous system.
Other conditions that MLD can help with include migraines, recovery from infection, wound healing, and post-surgical swelling or sluggishness. MLD also improves the health, appearance and texture of the skin so conditions such as acne and cellulite may benefit from regular treatments.
There are a few conditions in which MLD is not indicated: congestive heart failure, untreated hypertension, renal failure, blood clots, and acute infections.
tubes for several days, awaiting the arrival of the egg.
Ovulation is the process in which a mature egg is released from the ovary. During this phase, the fimbriae sweep over the surface of the ovary, capturing the egg and guiding it into the fallopian tube. Once inside the fallopian tube, the egg begins its journey towards the uterus, aided by the coordinated movements of the cilia.
If sperm are present in the fallopian tubes at the time of ovulation, they can meet and fertilize the egg. This remarkable union typically occurs in the ampulla, the widest part of the fallopian tube. Once fertilized, the newly formed embryo continues its passage towards the uterus for implantation and further development.
Although the fallopian tubes are designed for the journey of the fertilized egg, complications can arise. One such complication is an ectopic pregnancy, where the fertilized egg implants outside the uterus, most commonly in the fallopian tubes. Ectopic pregnancies can be dangerous and require immediate medical attention.
Diagnostic procedures can help identify any blockages or abnormalities in the fallopian tubes. Hysterosalpingography (HSG) is a common test where a dye is injected into the uterus and fallopian tubes, allowing X-ray imaging to evaluate their structure and function. Laparoscopy
tent heartburn. Tests can be conducted to determine if your heartburn has resulted in any more serious health complications.
Take note of what and how you eat:
• Avoid certain foods like citrus fruits, tomato products, fatty or greasy foods, chocolates, peppermints, vinegar, spicy foods, garlic, raw onions, and black or red pepper.
• Steer clear of certain beverages, especially on an empty stomach.
• Consume smaller meals throughout the day.
• Refrain from lying down, repeatedly bending over, or engaging in vigorous exercise for 2-3 hours after eating.
Adjust your sleeping routine:
• Elevate the head of your bed by at least 6 inches using a mattress wedge.
• Avoid eating or snacking within 2-3 hours before bedtime.
Modify your habits:
• Quit smoking if you are a smoker.
• If you are overweight, strive to lose weight.
important to match your symptoms with the appropriate medication. Do you experience occasional heartburn? An OTC medication, such as an antacid or H2 blocker, may be effective. Antacids neutralize stomach acid and provide quick but temporary relief lasting 1-2 hours. H2 blockers reduce the production of stomach acid and offer relief lasting 6-12 hours. Some brands include Tagamet HB®, Pepcid® AC, Axid® AR, and Zantac 75®
is another procedure that uses a small camera to examine the reproductive organs, including the fallopian tubes.
Various disorders can affect the fallopian tubes, such as blockages, infections, and tubal ligation (a permanent form of birth control). Fertility treatments like in vitro fertilization (IVF) can bypass fallopian tuberelated issues. Additionally, surgical interventions, such as tubal ligation reversal or tubal reanastomosis, can restore fertility in some cases.
Maintaining the health of the fallopian tubes is crucial for optimal reproductive health. Any dysfunction or blockage in the fallopian tubes can lead to difficulties in conceiving. Regular check-ups and open discussions with healthcare providers ensure that any potential issues are detected and addressed promptly.
The fallopian tubes are truly remarkable structures that contribute significantly to the miracle of life. From capturing and transporting the egg to providing an ideal environment for fertilization, their role is indispensable in the process of reproduction. Understanding the importance of the fallopian tubes empowers individuals to take charge of their reproductive health and seek timely medical assistance when needed. Let us appreciate the marvels of the fallopian tubes and the intricate journey they enable towards creating new life. Previously published on Medium.com
• Avoid tight-fitting and restrictive clothing.
• One of your prescription or OTC meds may be causing heartburn. It is
feel the excitement. Create reading areas with themes. Have a mystery book box or bag where you hide new books, and the child has to guess the theme, title, or series before opening the surprise.
Instead of money, have the tooth fairy bring books for each lost tooth.
Explore Beyond Books
Keep a variety of quick reads in the car for your child to enjoy and share funny stories and facts with you while traveling.
Mix up the media. Children nowadays have the privilege of accessing books on computers, e-readers, audio books, tablets, as well as traditional paper versions. Find out what works best for your child’s personality.
Read and Write
Encourage your child to write to
structure and alignment of foot bones, increasing the risk of callus formation.
To determine if your corns are associated with foot abnormalities, your podiatrist will examine your feet for toe deformities, bone structural issues, poor bone alignment, and abnormal walking patterns (gait). If any
Frequent heartburn, occurring two or more days a week, requires treatment with a medication called a proton pump inhibitor (PPI). Prilosec OTC™ is the only OTC medication approved for frequent heartburn. For prescription PPIs like Prevacid®, Aciphex®, and Protonix®, you will need to consult your healthcare provider. Prescription PPIs block the production of nearly all stomach acid, leaving just enough for normal digestion. You might hesitate to reach out to your primary healthcare provider about heartburn. However, if lifestyle changes and OTC medications fail to alleviate your discomfort, they can provide several other treatment options.
page 57
their favorite author and share their thoughts about a good book they’ve recently finished. Motivate your child to create their own stories to accompany their drawings and write their own tales. Bring Books To Life
Choose a character and dive into the book by acting out the roles and imagining how they would interact with one another. Add sound effects while reading aloud, and involve your child in providing appropriate background noises like closing doors, howling sounds, or footsteps.
Switch it Up - When reading aloud old favorites or classic stories, change the storyline to see if your child can catch you. Swap words or rename characters to match friends and family members.
FRom page 58
abnormalities are identified during this foot examination, your doctor may recommend specific padding, shaving, or shoe inserts to prevent the recurrence of corns and calluses and minimize discomfort.
The next article will focus on preventing and treating corns.

of anxiety and depression — both of which are closely tied to disrupted sleep. Additionally, the burden of caregiving, multitasking, and emotional labor often falls more heavily on women, leaving less time and mental space for restorative rest.
Improving sleep often starts with recognizing its complexity. Good sleep hygiene — including consistent bedtimes, limiting screen time before bed, and creating a cool, quiet sleep environment — can help. However, persistent symptoms may signal an un-
derlying sleep disorder like insomnia, restless legs syndrome, or sleep apnea. Because symptoms of these conditions can differ in women, they are sometimes overlooked or misattributed to stress or aging. Seeking evaluation for ongoing sleep problems is important, especially when fatigue begins to interfere with daily life.
Understanding how hormonal and life-stage factors impact sleep allows women to better navigate these changes and take proactive steps toward healthier, more restorative rest.
ing higher amounts of other hormones that affect the brain’s thermostat. These body temperature fluctuations can wreak havoc on women.
“For example, women with severe vasomotor symptoms, especially at night, might not realize how severe fatigue compromises their ability to remain active. Women are more prone to mood disorders in the perimenopausal period, and that can also interfere with their motivation to make lifestyle changes often required to prevent weight gain,” Chang adds.
Sleep disturbances also interfere with the production of ghrelin, a hormone that acts in areas of the brain to stimulate a feeling of hunger and promote feeding. Sleep deprivation increases ghrelin levels, basically sending out a hunger message to the body. As a result, the person starts to eat though there is no real need to!







rheumatoid arthritis or lupus. Ninety percent of these patients are women.
Dry eye syndrome may sound like more of a nuisance than a serious problem. But if left untreated, severe cases of dry eye syndrome can result in permanent loss of sight. These include problems such as inflammation, infection, and scarring of the eye surface.
If you have dry eye syndrome, there are numerous treatments avail-
clearly can damage lungs. Consuming edibles is safer, but new patients should take low doses to determine the effects. Cannabis today is about 10 times the potency of products of the 1970’s and 1980’s, and too much too soon may result in fall risks or acute anxiety, sometimes even sending
Estrogen also influences the metabolism of sugar and fat so, as levels of estrogen drop, women’s bodies burn calories more slowly and bad cholesterol increases. Lower estrogen affects body tissue, contributing to less muscle response to strength training. Estrogen is also tied to tissue repair, so injured muscles heal more slowly. The resulting lower levels of muscle also lowers the rate of metabolism. There is some good news: A 2019 UCLA study showed that weight increases from shifting hormones often level out after two years from a woman’s final menstrual period. However, those lower postmenopausal hormones mean one must eat less and work out harder just to maintain body weight. Losing weight will take considerable effort, but is possible. And adding HRT could boost control of body fat.
able to help protect your eyes and your sight. For many dry eye sufferers, small changes in their daily habits can make the problem better. For others, tear replacement drops, medications, and plugs to block tears from escaping once they reach the eye surface are all effective in reducing or eliminating dry eye symptoms. Your doctor can help you develop a treatment plan thats right for you.
patients to the emergency room. Any cannabis dispensary should be well educated on their products and answer any questions you may have. Take time to explain what you hope to gain from cannabis and ask to be pointed toward products that may be helpful for you.

