Skip to main content

Quaderni acp 2026_33(1)

Page 1


rivista bimestrale dell’associazione culturale pediatri

Editoriale

1 14 anni dopo

Michele Gangemi

Research letter

2 Le comunicazioni orali al 37º congresso nazionale acp “ACP next generations: c’è ancora domani”

Il caso che insegna

10 Piastrinopenia in età pediatrica: sfide diagnostiche oltre i confini della trombocitopenia immune

Angela Iannicelli, Marta Giovengo, Diletta Iannaccone, Olga Lausi, Giuliana Beneduce, Giovanna Giagnuolo, Giuseppe Menna

Il punto su 14 Inquadramento e gestione del bambino con disidratazione

Davide Pace, Giovanna La Fauci, Pierantonio Santuz

Focus

20 Come spiegare il Nirsevimab ai genitori. Una guida per i clinici per comunicare in modo efficace numeri, rischi e benefici

Luca Iaboli, Adriano Cattaneo

23 Commento all’articolo Come spiegare il Nirsevimab ai genitori. Una guida per i clinici per comunicare in modo efficace numeri, rischi e benefici

Massimo Farneti

24 Impatto sul territorio dell’immunizzazione con Nirsevimab: i dati prodotti dai pediatri di famiglia SiMPeF della Regione Lombardia

Giovanna Sersale, Ines L’Erario, Fabiola Dell’Acqua, Lorenza Matarazzo, Lucia Di Maio, Luigi Greco, Massimiliano Dozzi, Roberto Buzzetti, Monica de’ Angelis

Salute mentale

29 Lo sviluppo fonetico dai 24 ai 47 mesi in bambini con profilo tipico

Serena Bonifacio, Marta Motterle, Maria Palmieri, Claudio Zmarich

Storia ed etica della medicina

33 Arcuccio e sicurezza del sonno infantile. Evoluzione storica e raccomandazioni contemporanee

Giancarlo Cerasoli, Nicolò Nicoli Aldini, Sara Patuzzo Manzati

Narrative e dintorni

37 Il pediatra è un mestiere difficile, la storia: se il cuore chiama... la vescica risponde Catherine Hamon, Francesco Ciotti, Micaela Bucci, Giancarlo Cerasoli, Mila Degli Angeli, Nadia Foschi, Marna Mambelli, Antonella Stazzoni, Francesca Vaienti, Isabella Penazzi, Chiara Bussetti

39 La famiglia come guscio che protegge. Parole, silenzi e legami nel tempo della cura Anna Santini

Ambiente e salute

42 “Noi siamo la Natura”. Il ruolo del pediatra nell’educazione ambientale partecipativa Vincenza Briscioli, Leonello Venturelli

Film

45 Familia. L’orco in casa

Libri

46 Edith Bruck, La donna dal cappotto verde

46 Paola Caridi, Il gelso di Gerusalemme

47 Federico Rampini, La lezione del Giappone

47 Annie Ernaux, Gli Anni

Lettere

48 Un confronto sul fine vita dei bambini

Norme redazionali per gli autori

I testi vanno inviati alla redazione via e-mail (redazione@quaderniacp.it) unitamente alla dichiarazione che il lavoro non è stato inviato contemporaneamente ad altra rivista.

Per il testo, utilizzare carta non intestata e carattere Times New Roman corpo 12 senza corsivi; il grassetto va usato solo per i titoli. Le pagine vanno numerate. Il titolo (in italiano e inglese) deve essere coerente rispetto al contenuto del testo, informativo e sintetico. Può essere modificato dalla redazione. Vanno indicati l’istituto/ente di appartenenza e un indirizzo di posta elettronica per la corrispondenza. Gli articoli vanno corredati da un riassunto (abstract) in italiano e in inglese, ciascuno di non più di 1000 caratteri (spazi inclusi). La traduzione di titolo e abstract può essere fatta, su richiesta, dalla redazione. Non occorre indicare parole chiave.

Negli articoli di ricerca, testo e riassunto vanno strutturati in “Obiettivi”, “Metodi”, “Risultati”, “Conclusioni”.

I casi clinici per la rubrica Il caso che insegna vanno strutturati in: “La storia”, “Il percorso diagnostico”, “La diagnosi”, “Il decorso”, “Commento”, “Cosa abbiamo imparato”.

Tabelle e figure vanno poste in pagine separate, una per pagina. Ciascun elemento deve presentare una didascalia numerata progressivamente; i richiami nel testo vanno inseriti in parentesi quadre, secondo l’ordine di citazione.

Casi clinici ed esperienze non devono superare i 12.000 caratteri (spazi inclusi), riassunti compresi, tabelle e figure escluse. Gli altri contributi non devono superare i 18.000 caratteri (spazi inclusi), compresi abstract e bibliografia (casi particolari vanno discussi con la redazione). Le lettere non devono superare i 2500 caratteri (spazi inclusi); se di lunghezza superiore, possono essere ridotte d’ufficio dalla redazione.

Le voci bibliografiche non devono superare il numero di 12, vanno indicate nel testo fra parentesi quadre e numerate seguendo l’ordine di citazione. Negli articoli della FAD la bibliografia va elencata in ordine alfabetico, senza numerazione. Esempio: Corchia C, Scarpelli G. La mortalità infantile nel 1997. Quaderni acp 2000;5:10-4. Nel caso di un numero di autori superiore a tre, dopo il terzo va inserita la dicitura “et al.” Per i libri vanno citati gli autori (secondo l’indicazione di cui sopra), il titolo, l’editore e l’anno di pubblicazione.

Gli articoli vengono sottoposti in maniera anonima alla valutazione di due o più revisori. La redazione trasmetterà agli autori il risultato della valutazione. In caso di non accettazione del parere dei revisori, gli autori possono controdedurre.

È obbligatorio dichiarare la presenza di un conflitto d’interesse. La sua eventuale esistenza non comporta necessariamente il rifiuto alla pubblicazione dell’articolo.

direttore

Michele Gangemi

direttore responsabile

Franco Dessì

presidente acp

Stefania Manetti comitato editoriale

Francesco Accomando, Melodie O. Aricò, Vincenza Briscioli, Antonella Brunelli, Sergio Conti Nibali, Daniele De Brasi, Luciano de Seta, Martina Fornaro, Stefania Manetti, Luigi Memo, Laura Reali, Paolo Siani, Maria Francesca Siracusano, Maria Luisa Tortorella, Enrico Valletta, Federica Zanetto comitato editoriale pagine elettroniche

Vincenza Briscioli (coordinatrice), Laura Brusadin, Claudia Mandato, Maddalena Marchesi, Laura Reali, Patrizia Rogari, Chiara Roncarà, Giacomo Toffol collaboratori

Fabio Capello, Rosario Cavallo, Francesco Ciotti, Antonio Clavenna, Massimo Farneti, Claudio Mangialavori, Italo Spada, Angelo Spataro, Augusta Tognoni progetto grafico ed editing Oltrepagina s.r.l., Verona programmazione web Gianni Piras stampa

Cierre Grafica, Caselle di Sommacampagna (VR), www.cierrenet.it

Quaderni acp aderisce agli obiettivi di diffusione gratuita online della letteratura medica ed è disponibile integralmente all’indirizzo www.quaderniacp.it

Pubblicazione iscritta nel registro nazionale della stampa n. 8949 © Associazione Culturale Pediatri ACP Edizioni No Profit

redazione redazione@quaderniacp.it

in copertina

amministrazione segreteria@acp.it direzione direttore@quaderniacp.it ufficio soci ufficiosoci@acp.it

Medhat Shafik, Luce dei sensi (2001), tecnica mista su tela, 200x240 cm – courtesy marcorossi artecontemporanea, Verona

Quaderni acp è stampato su carta Lenza Top 100% riciclata. L’etichetta FSC® su questo prodotto garantisce un uso responsabile delle risorse forestali del mondo.

14 anni dopo

Apriamo questa nuova annata di Quaderni acp partendo dall’editoriale Una rivista corale pubblicato lo scorso anno (Quaderni acp 2025;32:1) e rileggendo l’editoriale di G. Biasini 18 anni e un centinaio di fascicoli (Quaderni acp 2012;19:1). Il titolo di questo primo editoriale 2026 vuole richiamare i 14 anni trascorsi dal cambio di testimone e i necessari cambiamenti, sempre nel corso della linea già tracciata. Sosteneva Giancarlo Biasini che la rivista deve trasformare il lettore e il lettore la rivista, anche senza apparire. Possiamo dire che nella scorsa annata è avvenuto il cambiamento prefigurato nell’editoriale di apertura. La rivista è diventata corale nel vero senso del termine e i gruppi ACP hanno colto il senso della proposta. Si stanno strutturando (in alcuni casi si sono già concretizzate) nuove rubriche gestite proprio dai gruppi di lavoro in stretto contatto con la redazione. Nell’editoriale Cambiare non per caso (Quaderni acp 2012;19:2) il nuovo direttore elencava tre punti come prioritari per lo sviluppo della rivista:

1. l’angolo degli specializzandi concretizzatosi nel tempo nella rubrica Imparare con i giovani . Il ricambio generazionale in atto in ACP è stato anticipato dal percorso della rivista che ne accompagna l’evoluzione. In questo anno saranno pubblicati i lavori selezionati all’ultimo Congresso ACP, occasione di crescita e apprendimento reciproco;

2. lo spazio dei gruppi locali, che ha richiesto più tempo del previsto per realizzarsi, ha offerto spunti davvero interessanti e non confinati all’interno dei singoli saperi. Nella consapevolezza che la ricchezza del pensiero ACP, caratterizzata da un confronto rispettoso e trasparente, deve valicare l’ambito associativo;

3. l’educazione in medicina, realizzata in particolare nelle tredici edizioni della Formazione a Distanza (FAD) di Quaderni acp, prima rivista in Italia a realizzare una FAD con modalità e metodologia avanzate. Questa iniziativa, molto apprezzata, oltre a un discreto guadagno per l’editore, ha portato anche alla pubblicazione di tre volumi con i contributi formativi delle diverse annate FAD. La tredicesima edizione del 2025 chiude questa esperienza formativa perché non più sostenibile: il calo delle iscrizioni non ne permette il proseguimento, nonostante gli apprezzamenti. Sarebbe utile ragionare insieme sui motivi della riduzione delle iscrizioni, pur consapevoli dell’aumento dell’offerta, peraltro non sempre di qualità né esente da conflitti di interesse. La scelta dell’editore e della redazione di rinunciare a ogni tipo di pubblicità necessita di un sostegno concreto da parte di soci e lettori. Si valuterà all’interno della redazione se e come proseguire su questa strada, anche alla luce della ricca e variegata offerta formativa in ambito ACP.

Grazie a Laura Reali per lo sviluppo dei casi didattici, a tutti gli autori e al provider Motus Animi.

Per l’annata 2026 proseguono le collaborazioni con ilpunto.it ed Epidemiologia e Prevenzione (rubrica Epiquaderni), nell’ottica di ampliare la platea dei lettori e arricchirsi di nuovi sguardi.

Le copertine della rivista cartacea si avvarranno della collaborazione dell’artista egiziano Shafik che ringraziamo unitamente alla Galleria d’Arte Marco Rossi.

Un ringraziamento affettuoso a Giovanna Benzi per le copertine delle ultime due annate.

La redazione si è arricchita di tre nuovi membri: Francesco Accomando, Vincenza Briscioli e Luigi Memo.

Come comunicato nell’assemblea ACP di Jesolo e come evidenziato nella copertina del numero 5/2025, siamo approdati sulla piattaforma Telegram (superando quota 300!). Ringraziamo in particolare Francesco Accomando per questa iniziativa. Invitiamo tutti a iscriversi, certi che anche questa modalità permetterà alla rivista di essere più tempestiva e al passo con la velocità delle notizie. La cadenza bimestrale e i tempi non comprimibili dell’invio postale non facilitano infatti tale esigenza, per cui il web e la piattaforma Telegram si rivelano sempre più opportuni.

La redazione si sta anche attrezzando, grazie alla competenza di Gianni Piras, per utilizzare al meglio le potenzialità dell’intelligenza artificiale nei percorsi redazionali.

I numerosi articoli che giungono alla rivista ne consentono una programmazione equilibrata e adeguata.

L’equilibrio tra la parte clinica e le Medical Humanities viene sempre garantito nell’ottica di un pediatra al passo coi tempi e con le nuove richieste da parte di bambini e famiglie. La nuova rubrica Il pediatra e le sfide educative va proprio in questo senso unitamente a Traiettorie e orizzonti familiari Nell’annata 2025 il supplemento al numero 3 è stato dedicato alle giornate di Epidemiologia “Carlo Corchia” tenutesi a Fiesole a cura del Laboratorio della conoscenza a lui intestato. L’approccio multidisciplinare all’area maternoinfantile è del tutto in linea con la rivista.

Per quanto riguarda Pagine elettroniche di Quaderni acp, è in corso un cambio di coordinamento. Grazie per l’ottimo lavoro svolto a Giacomo Toffol, che ha chiesto di essere sostituito, pur continuando a rimanere in entrambe le redazioni e a contribuire allo sviluppo della rivista. Vincenza Briscioli continuerà il lavoro di Giacomo, accanto alla preziosa collaborazione nella redazione.

Lo stato di salute di Quaderni acp dunque appare buono, ma è interessante conoscere il parere dei lettori.

Di recente sono stato nuovamente a visitare la biblioteca Capitolare di Verona, la più antica delle biblioteche ancora in attività e mi ha molto colpito l’ Indovinello veronese . Si tratta di uno scritto di uno sconosciuto amanuense dell’ottavo secolo, posto al margine superiore di un foglio in un codice liturgico di epoca precedente. L’indovinello stabilisce una analogia tra il lavoro del contadino con l’aratro e quello dell’amanuense con la scrittura sulla carta: la scrittura permette di arare e seminare il campo della conoscenza. Speriamo di dare un piccolo contributo in tal senso.

Le comunicazioni orali al 37º congresso nazionale acp “ACP next generations: c’è ancora domani”

Lo scorbuto nel bambino nel XXI secolo: revisione sistematica della letteratura

Annamaria Compagnone1 , Maria Marsella2 , Maria Maiorana2 , Giovanna Roberta Vega2

1 AIF, Università degli studi di Salerno, Scuola di specializzazione in Pediatria

2 UOC Pediatria, AORN Moscati, Avellino, Italia

Obiettivi

Incrementare la consapevolezza sulla recrudescenza dello scorbuto, descrivere le caratteristiche cliniche e diagnostiche dei casi pediatrici pubblicati negli ultimi quattro anni e confrontarli con i dati storici della revisione di Trapani et al. (2000-2021) [1].

Metodi

Revisione sistematica condotta secondo le linee guida PRISMA 2020. Sono stati inclusi 41 articoli in lingua inglese pubblicati tra il 2022 e il 2025, per un totale di 55 casi pediatrici (<18 anni) di scorbuto confermato o altamente sospetto. I dati sono stati estratti da Google Scholar mediante ricerca manuale con le parole chiave: “scurvy, ascorbic acid deficiency, children, infancy”.

Risultati

I pazienti erano prevalentemente maschi (73%). Le comorbidità più frequenti includevano dieta selettiva (37%) in pazienti altrimenti sani, con prevalente consumo di alimenti ultraprocessati, malnutrizione (23%) e disturbi dello spettro autistico (DSA) (21%). Le manifestazioni cliniche principali riguardavano l’apparato muscoloscheletrico (86%), le mucose (51%) con ipertrofia e sanguinamento gengivale e la cute (49%) con rash petecchiali e ipercheratosi. È stato segnalato riscontro di ipertensione polmonare nel 12% dei casi, con necessità di milrinone in due pazienti. Il 37% presentava anemia (necessità trasfusionale 21%) e imaging tipico se refertato da personale esperto. In un terzo dei casi sono state effettuate biopsie invasive per sospette patologie oncologiche. Il dosaggio della vitamina C era ridotto nel 96% dei casi testati; in 11 casi la diagnosi è stata posta ex adiuvantibus. Il trattamento con acido ascorbico, somministrato principalmente per via orale determinava un rapido miglioramento clinico.

Conclusioni

Rispetto alla revisione di Trapani, si osserva un aumento significativo (>60%) della frequenza di dieta selettiva in soggetti sani (dal 21 al 37%), e di indagini invasive (dal 18% al 29%). Tali dati rafforzano la necessità di implementare: 1) l’educa-

zione alimentare; 2) lo screening nutrizionali mirati, in particolare nei bambini con DSA; 3) l’anamnesi alimentare dettagliata, attenta anche alle variabili culturali e migratorie, all’interno della pratica pediatrica quotidiana. a.compagnone2@studenti.unisa.it

Bibliografia

1. Trapani S, Rubino C, Indolfi G, Lionetti P. A Narrative Review on Pediatric Scurvy: The Last Twenty Years. Nutrients. 2022 Feb 6;14(3):684.

Tabella riassuntiva dati estrapolati dai 41 articoli analizzati

Sesso

M

F

Età

37 (73%)

14 (27%)

Minima 27 giorni

Massima 16 anni

Casi per data di pubblicazione

2022

2023

2024

2025

Dati relativi al peso

< 3° Percentile

12 casi (24%)

16 casi (31%)

12 casi (24%)

11 casi (22%)

6 casi

> 95° Percentile 2 casi

Malnutrizione/perdita di peso 4 casi

Localizzazione dei sintomi

Apparato muscolo-scheletrico

Cute

44 casi (86%)

25 (49%)

Mucosa gengivale 26 (51%)

Fattori di rischio/comorbidità

Dieta selettiva (senza alterazioni neuropsichiatriche)

19 casi (37%)

Disturbo dello spettro autistico 11 casi (21%)

Patologie neurologiheneuropsichiatriche (no DSA)

7 casi (di cui 2 diagnosticati successivamente al riscontro dello scorbuto) (13%)

Condizioni socioeconomiche ristrette 2 casi (4%)

Allattamento materno esclusivo 1 caso (2%)

Münchhausen per procura 1 caso (2%)

Non noti 10 casi

Reperti laboratoristico-strumentali

Anemia 19 casi (37%)

Anemia con necessità di trasfusione 5 su 19 (26%)

Markers infiammatori elevati 8 casi noti

Rx e rm con reperti tipici 19 casi (37%)

Paps elevata 6 casi (12%)

Esecuzione di biopsia (gengive/lesioni cutanee/midollo osseo)

Diagnosi differenziali ipotizzate

Onco-ematologiche

Autoimmuni

Infettive

Dolori di crescita

Trombosi venosa profonda

Abusi

15 casi (29%)

12 casi (24%)

10 casi (20%)

9 casi (18%)

3 casi (6%)

3 casi (6%)

1 caso (2%)

Dosaggio sierico vitamina C

Non fatto 11 casi (21% terapia ex adiuvantibus)

Normale 1 caso

Basso 26 casi

Non noto 13 casi

Terapia Acido ascorbico

Via orale 20 casi

Via endovenosa 10 casi

Via di somministrazione non nota 14 casi

Non nota 7 casi

Tempi di recupero

</= 7 Giorni 14

> 7 Giorni 5

Non noti 32

SBS. Quando l’attesa diventa un sintomo

Mariavittoria Colella1 , Giovanna La Fauci2 , Francesco Corazza2 , Pierantonio Santuz2

1 Scuola di Specializzazione in Pediatria, Verona

2 UOC Accettazione e Pronto Soccorso Pediatrico, AOUI Verona

Caso clinico

Riportiamo il caso di un neonato di 15 giorni giunto di notte al pronto soccorso pediatrico per stato soporoso insorto dal pomeriggio. Il paziente, già al quick look, appariva gravemente compromesso neurologicamente. In shock room è stato valutato secondo l’ABCDE: iporeattivo con anisocoria (pupilla sinistra midriatica e areattiva), posizione del capo obbligata a sinistra e ipertono omolaterale. Presentava estremità fredde e marezzate, TR 2-3”, tachicardia (FC 160 bpm) e PANI 89/57 mmHg. Non alterazioni del pattern respiratorio. La fontanella anteriore risultava piana. Durante la valutazione, è stato riscontrato un ematoma a stampo al braccio sinistro. I genitori negavano traumi, cadute o febbre. Il neonato era stato visitato poche ore prima dalla pediatra curante, senza rilievi patologici.

Anamnesi patologica remota: extrasistolia in epoca neonatale con successivo ECG nella norma. Agli esami ematici, profilo biochimico, coagulazione, emocromo e indici di flogosi risultavano nella norma. Durante la permanenza in PSP, il paziente ha avuto peggioramento clinico con perdita del drive respiratorio e bradicardia, richiedendo ventilazione assistita. Trasferito in TIP, è stata eseguita TAC encefalo, che ha evidenziato emorragia subdurale sinistra con effetto massa ed erniazione uncale. A completamento, è stato svolto il fundus oculi che ha rilevato emorragie retiniche a 360°, confermate da retinografia. Successivamente, il test del capello sul paziente e il padre è risultato positivo alla cocaina. Il quadro clinico e i riscontri strumentali sono compatibili con la sindrome del bambino scosso (SBS). Secondo i dati Terres des Hommes [1], il 74% delle vittime ha meno di 6 mesi [2]; 1/3 era già stato visitato per altri motivi [3]. La SBS può causare disabilità permanenti e nel 25% dei casi è fatale [2] .

Conclusioni

Dai dati riportati, vediamo l’importanza dell’educazione sulle cause e i rischi della SBS a livello territoriale: potendo così attivamente prevenire l’incremento dei casi di questa tragica condizione [4].

pedcolella10@gmail.com

Bibliografia

1. Terre des Hommes Italia. Sindrome del bambino scosso: il 6 e 7 aprile tornano le giornate nazionali di prevenzione. Terre des Hommes Italia. 2025. https://terredeshommes.it/comunicati/sindrome-del-bambino-scosso-il-6-e-7-aprile-tornano-le-giornatenazionalidiprevenzione.

2. Sailer T, Wade E, Burge L, Shanghvi D. Abusive Head Trauma. Pediatr Clin North Am. 2025 Jun;72(3):451-465.

3. Hooley G, Garcia SE. Emergency department evaluation and management of nonaccidental trauma in pediatric patients. Pediatr Emerg Med Pract. 2023 Sep;20(9):1-20.

4. Giannotta F, Lauria B, Facchin P, et al. Abusive Head Trauma (trauma cranico abusivo pediatrico) e Shaken Baby Syndrome: dossier “NON SCUOTERLO!” Terre des Hommes Italia. 2023. https://nonscuoterlo.terredeshommes. it/pdf/SBS_terredeshommes_dossier. pdf .

Il bambino che “dimentica” di respirare: la sindrome di Ondine

Lorenzo De Luca1 , Annamaria Compagnone1 , Annalisa Allegorico2 , Fabio Antonelli2 , Pierluigi Vuillemier2

1 Scuola di specializzazione in Pediatria, Università degli Studi di Salerno, Salerno

2 UOC Pneumologia Pediatrica e UTSIR Dipartimento di Pediatria Specialistica, AO di Rilievo Nazionale SantobonoPausilipon, Napoli

Obiettivi

Descrivere un caso clinico di diagnosi tardiva di sindrome da ipoventilazione centrale congenita (CCHS) in un lattante con presentazione clinica tipica di bronchiolite, sottolineando l’importanza di non fermarsi alla prima diagnosi, in presenza di quadri clinici non completamente spiegati.

Metodi

Un bambino di 15 mesi giungeva in PS per tosse, rifiuto dell’alimentazione e dispnea. In anamnesi: distress respiratorio neonatale, desaturazioni post-prandiali e wheezing ricorrente. All’esame obiettivo: polipnea, rientramenti sottocostali, tachicardia, SpO₂ 85% in aria ambiente, rantoli e sibili diffusi. La radiografia evidenziava accentuazione della trama broncovascolare e cardiomegalia [Figura 1]. L’emogas arterioso mostrava ipercapnia severa (pCO2 70 mmHg), ipossia (pO2 54,4 mmHg)

1. Radiografia del torace: “Iperespansione polmonare bilaterale. Diffusa accentuazione reticolo nodulare della trama vascolo-bronchiale bilaterale, con segni di confluenza parenchimale retrocardiaca basale sinistra e areola di ipodiafania paramediastinica destra. Mediastino in asse. Ombra cardiaca volumetricamente ai limiti alti”.

Figura

e bicarbonati notevolmente aumentati (43 mmol/L). Il tampone nasofaringeo risultava positivo per VRS. Per peggioramento clinico, si trasferiva in TIP, dove riceveva ventilazione invasiva per 7 giorni, successivamente NIV notturna e HFNC diurna. Per persistenza dell’ipercapnia, effettuava monitoraggio cardiorespiratorio notturno (saturimetria e capnometria).

Risultati

Il monitoraggio evidenziava desaturazioni precoci all’addormentamento, ODI > 5 eventi/h e TpCO₂ > 50 mmHg nel 97% del tempo [Figura 2]. Veniva quindi ottimizzata la NIV, con normalizzazione della CO₂ notturna. Nel sospetto di CCHS si eseguiva approfondimento genetico (NGS), con riscontro di variante patogenetica nota c.42C > A nel gene PHOX2B, diagnostica per CCHS o sindrome di Ondine [1]. Durante la degenza il paziente eseguiva ulteriori approfondimenti diagnostici e monitoraggi poligrafici, pulsossimetrici e capnografici notturni in NIV per ottimizzare la ventilazione [2], con progressiva stabilizzazione dei parametri respiratori e risoluzione dell’ipercapnia.

Conclusioni

La CCHS è una malattia genetica del sistema nervoso autonomo. Le persone affette respirano normalmente in veglia, ma presentano ipoventilazione nel sonno, che può causare ipossiemia e ipercapnia [3]. Il caso evidenzia l’importanza di mantenere uno sguardo critico e aperto anche di fronte a presentazioni cliniche che sembrano riconducibili a patologie frequenti (es. bronchiolite da VRS). Il messaggio chiave è: mai “innamorarsi” di una diagnosi; se il quadro clinico non convince del tutto, bisogna sempre considerare patologie nascoste, anche rare. l.deluca16@studenti.unisa.it

Bibliografia

1. Berry-Kravis EM , Zhou L, Rand CM, Weese-Mayer DE. Congenital central hypoventilation syndrome: PHOX2B mutations and phenotype. Am J Respir Crit Care Med. 2006 Nov 15;174(10):1139-1144.

2. Trang H, Samuels M, Ceccherini I, et al. Guidelines for diagnosis and management of congenital central hypoventilation syndrome. Orphanet J Rare Dis. 2020 Sep 21;15(1):252.

3. Weese-Mayer DE, Rand CM, Khaytin I, et al. Congenital central hypoventilation syndrome. In: Adam MP, Bick S, Mirzaa GM, et al. GeneReviews®. University of Washington, 2004 Jan 28. https:// www.ncbi.nlm.nih.gov/books/NBK1427/.

Non esistono bambini pigri: zoppia e stipsi, alzare le antenne!

Francesca Cocomero

Università degli Studi di Salerno, Salerno

Caso clinico

A. ha 2 anni e giunge alla nostra attenzione in pronto soccorso per zoppia sinistra da 6 giorni, parzialmente responsiva all’ibu-

2.

profene, e nuova insorgenza di alvo stitico da qualche settimana. La mamma ci dice che negli ultimi tempi il bambino è più pigro del solito: preferisce stare in poltrona e pratica frequenti clisteri per una riduzione improvvisa delle evacuazioni. Insomma, “sembra un pensionato!” Durante il ricovero, il piccolo preferisce restare a letto senza muoversi e la deambulazione è incerta; la manipolazione passiva dell’anca non evoca dolore. All’esame obiettivo si rileva dolorabilità in fossa iliaca sinistra. Al piccolo sale anche la febbre. Gli esami evidenziano leucocitosi neutrofila e una VES di 115 mm/h. L’ecografia alle anche mostra una moderata quantità di fluido intrarticolare, l’ecografia all’addome una marcata distensione intestinale. Un nuovo controllo ematico rivela un rialzo della PCR e un aumento dell’LDH. Si decide quindi di instaurare terapia antibiotica nel sospetto di un’artrite settica: il bimbo migliora; tuttavia, la sintomatologia intestinale e la zoppia persistono. Si richiede dunque una risonanza magnetica del rachide in toto, che evidenzia una grossolana formazione espansiva delle dimensioni di 8 x 5 x 6 cm a morfologia irregolare, di probabile pertinenza surrenalica, che disloca la milza e il rene controlaterale, con marcata distensione del colon. Dinanzi a questo quadro clinico-laboratoristico e strumentale si pone diagnosi di massa surrenalica di natura da determinarsi e si trasferisce il bambino per il prosieguo delle cure. La presenza di dolore osseo scarsamente responsivo agli antinfiammatori, senza una storia di traumi, è un’inequivocabile bandierina rossa. Una stipsi di nuova insorgenza unitamente a un’alterazione della deambulazione impone l’esclusione di una massa addomino-pelvica. Non esistono bambini pigri: un cambiamento nel comportamento di questi piccoli pazienti impone un approfondimento diagnostico accurato e una valutazione clinica immediata.

francescajrcocomero@gmail.com

Una dilatazione delle vie biliari che non ti aspetti

Francesca Cocomero, Giusy Ambrosio, Carmen Campanile, Annamaria Compagnone, Lorenzo De Luca, Annalaura Milano, Ugo Cucinotta, Claire Mayer, Florence Lacaille, Christophe Chardot, Claudia Mandato

Università degli Studi di Salerno, Salerno; Ospedale Necker Enfants Malades, Parigi

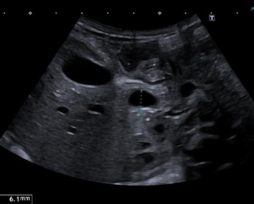
T. è una bambina nata prematura a 32 settimane. Trasferita in TIN per distress respiratorio da aspirazione meconiale, viene trattata con fototerapia per la scoperta di iperbilirubinemia. A causa della persistenza dell’ittero esegue esami del sangue per escludere patologie infettive, tiroidee e deficit di cortisolo. Screening neonatale e indici di emolisi negativi. Dosaggio dell’alfa-1 antitripsina normale [1]. Viene dunque trasferita presso il reparto di epatologia del Necker di Parigi per le cure del caso. Gli esami evidenziano una colestasi a GGT elevate e citolisi epatica (AST 227 U/L, ALT 202 U/L, GGT 516 U/L, BT 8,5 mg/dl BC 7,6 mg/dl). All’ecografia epatobiliare eseguita a digiuno da 6 h si evidenzia una colecisti non atresica [Figura 1], anzi, piuttosto distesa con all’interno sludge biliare, dilatazione della via biliare extraepatica [Figura 2] con evidenza di calcolo a livello della porzione distale coledocica [Figura 3] e dilatazione delle vie biliari intraepatiche, che presentano un aspetto irregolare. Assenza di polisplenia. Davanti alla presenza di un calcolo incuneato, viene avviata terapia iperidratante con aggiunta di UDCA, supplementazione vitaminica ADEC e vit K ev [2]. All’ecografia di controllo non si evidenzia più la litiasi biliare. Nuovo ricovero dopo 6 giorni per la persi-

Figura

stenza di ittero e feci ipocoliche. Viene eseguita quindi una colangiografia transepatica che mostra una colecisti a contenuto acolico, comunicante con una struttura ovalare dell’ilo epatico identificata come coledoco, che tuttavia non comunica con le vie biliari intraepatiche né col tubo digestivo [Figura 4]. Le VBI sono irregolari, contengono dei microcalcoli e non sono cateterizzabili. Si pone diagnosi di atresia biliare atipica [Figura 5] [3].

4. Colangiografia transepatica che mostra una colecisti a contenuto acolico, comunicante con una struttura ovalare dell’ilo epatico identificata come coledoco, che tuttavia non comunica con le vie biliari intraepatiche e col tubo digestive.

5. Colangiografia transepatica che mostra VBI sono irregolari, contengono dei microcalcoli e non sono cateterizzabili.

Questo caso insegna che la prevenzione attraverso il dosaggio seriato della BD al nido e l’inserimento di stool card nei libretti pediatrici è auspicabile e possibile e, inoltre, evidenzia la necessità di un approccio critico davanti ad un neonato con colestasi persistente [4]. francescajrcocomero@gmail.com

Bibliografia

1. Ng VL, Sultan M, Haber BH, et al. Diagnosis and management of cholestatic liver diseases in infants and children: NASPGHAN Practice Guideline. J Pediatr Gastroenterol Nutr. 2020;70(2):203-214.

2. Dong R, Jiang J, Zhang S, et al. Sonographic assessment in the differential diagnosis of neonatal cholestasis: a prospective study. J Pediatr Surg. 2019;54(1):127-132.

3. Lee WS, Looi LM, Tan SS. Biliary atresia: Clinical profile, diagnosis, management and outcome. J Pediatr Child Health. 2009;45(11):563569.

4. Serinet MO, Broué P, Jacquemin E, et al. Management of patients with biliary atresia in France: Results of a decentralized policy 1986-2002. Hepatology. 2006;44(1):75-84.

Figura
Figura 1. Colecisti non atresica distesa con all’interno sludge biliare.
Figura 2. Dilatazione dilatazione della via biliare extraepatica di 6 mm.
Figura 3. Calcolo incuneato a livello della porzione distale coledocica.
Figura

Il ruolo del pediatra di famiglia nello sviluppo del bambino nei primi mille giorni: indagine quali-quantitativa sui bisogni formativi degli specializzandi

Ingrid Schiulaz1 , Marco Gabrielli2 , Nicola Di Toro3 , Maria Vittoria Sola3 , Marina Trevisan3 , Jenny Bua4 , Paola Materassi3

1 Azienda Sanitaria Universitaria Giuliano Isontina

2 Università degli Studi di Trieste, Dipartimento di Scienze Mediche Chirurgiche e della Salute 34129, Trieste

3 Muoviamoci Insieme APS

4 Neonatologia e Terapia Intensiva Neonatale dell’IRCSS

Istituto Materno-Infantile Burlo Garofolo

Obiettivi

Il pediatra di famiglia ha un ruolo centrale nella promozione della salute e nel supporto delle famiglie, affinché ogni bambino raggiunga il suo pieno potenziale di sviluppo [1,2]. Le scuole di specializzazione in pediatria si orientano prevalentemente allo studio della patologia dando meno risalto allo sviluppo fisiologico e alla centralità dell’ambiente di vita del bambino. I giovani pediatri appaiono poco preparati sulle abilità comunicative e nella collaborazione con le figure sanitarie, sociali e educative attive sul territorio. Un gruppo di pediatre di famiglia e altre operatrici tra cui ostetriche e psicologhe di Trieste, con l’intento di colmare questo vuoto, ha iniziato a sviluppare un percorso formativo rivolto agli specializzandi della Scuola di Pediatria di Trieste.

Metodi

Nel 2024 è stato somministrato un questionario quali-quantitativo online a tutti gli specializzandi in Pediatria di Trieste che ha messo in evidenza le competenze ritenute da loro necessarie riguardo lo sviluppo del bambino nei suoi primi mille giorni e le necessità formative utili ad affrontare al meglio i bilanci di salute e la collaborazione interprofessionale.

Risultati

Il questionario, cui ha risposto l’83% degli specializzandi (63/83), ha messo in evidenza come essi ritengano necessario conoscere il percorso di sviluppo fisiologico dei bambini, la rete dei servizi territoriali e le modalità comunicative appropriate con le famiglie e gli altri operatori. A partire dalle risposte ottenute è stato elaborato un percorso formativo mirato, che attraverso una modalità didattica attiva e partecipativa permette al discente di acquisire competenze complesse [3]. Il corso e i materiali didattici collegati sono stati testati in un percorso pilota che ha coinvolto 16 specializzandi.

Conclusioni

A nostra conoscenza questo è il primo corso per i futuri pediatri sviluppato da un team multidisciplinare di operatori territoriali con lo scopo di migliorare la qualità delle cure prossimali al bambino e alla famiglia. marco.gabrielli@studenti.units.it

Bibliografia

1. World Health Organization. Nurturing Care for Early Childhood Development: A Framework for Helping Children Survive and Thrive to Transform Health and Human Potential. World Health Organization, 2018.

2. ECPC Working group. Entrustable Professional Activities in Primary Care Paediatrics. 2020.

3. 4C/ID Home. Four-Component Instructional Design. https://ww.w.4cid.org/

Contrasto all’antibioticoresistenza in età pediatrica: il progetto dell’Emilia-Romagna

Dalila Periccioli1 , Simona Di Mario2 , Carlo Gagliotti2 , Michele Torella3 , sottogruppo ambito pediatrico del Gruppo di lavoro Antibiotici Territorio, PrCAR, Regione EmiliaRomagna*

1 Medico specializzando, Scuola di Pediatria Bologna

2 DG cura della persona, salute e welfare, Regione EmiliaRomagna

3 Pediatra di libera scelta, Bologna; Coordinatore ACP Emilia

* Sottogruppo ambito pediatrico del Gruppo di lavoro Antibiotici Territorio, PrCAR, Emilia-Romagna: Simona Di Mario, Icilio Dodi, Elisa Fabbri, Carlo Gagliotti, Romano Manzotti, Dalila Periccioli, Enrico Ricchizzi, Michele Torella, Piero Veronese, Annalisa Zini, Stefano Zona

Obiettivi

Sviluppare e implementare, a partire dal manuale AWaRe [1], indicazioni condivise e adattate al contesto regionale per la gestione territoriale delle più comuni infezioni pediatriche, con l’obiettivo di migliorare l’appropriatezza prescrittiva e contrastare il fenomeno dell’antibioticoresistenza.

Metodi

Nell’ambito del Piano regionale di contrasto all’antibioticoresistenza (PrCAR) 2022-2025, la Regione Emilia-Romagna ha disposto la creazione di un gruppo di lavoro multidisciplinare per rafforzare la rete professionale delle Aziende USL – istituita per la parte pediatrica già a partire dal 2003 con il progetto ProBA – e condividere strumenti e raccomandazioni per promuovere l’utilizzo consapevole degli antibiotici nell’ambito delle cure primarie [2]. Attraverso una serie di incontri multiprofessionali, l’impegno del gruppo è stato rivolto a adattare le raccomandazioni del manuale AwaRe, integrandole con evidenze della letteratura, dati di antibioticoresistenza locali [3] e linee guida aggiornate, per fornire indicazioni sulle infezioni di più frequente riscontro in ambito territoriale.

Risultati

A partire da aprile 2024 sono state pubblicate 16 schede, di cui 5 per l’età pediatrica [2]. Per ogni tipologia di infezione le schede forniscono, con un taglio sintetico, suggerimenti per la gestione, il razionale del trattamento ed indicazioni specifiche sulla scelta della terapia antibiotica più appropriata in linea con i criteri del manuale AWaRe [Figura 1]. Per agevolare ulteriormente la fruibilità dei contenuti attraverso uno strumento pratico e immediato, è stata sviluppata un’applicazione [Figura 2] per pc e dispositivi mobili.

Conclusioni

Il lavoro condotto in Emilia-Romagna ha permesso di sviluppare nuovi strumenti condivisi per la lotta all’antibioticoresistenza e rafforzare la rete delle cure primarie. Dopo i miglioramenti in termini quantitativi e qualitativi ottenuti con il progetto ProBA (riduzione delle prescrizioni antibiotiche per la fascia 0-14 anni e maggiore ricorso ad amoxicillina rispetto ad amoxicillina clavulanato) si auspica un ulteriore miglioramento degli indicatori di uso appropriato degli antibiotici. dalila.periccioli@studio.unibo.it

Bibliografia

1. Agenzia Italiana del Farmaco. Manuale antibiotici AWaRe. Edizione italiana del The WHO AWaRe Antibiotic Book, 2023.

temperatura ≥38

Gestione dell’infezione

• clinico ≤ 2: solo terapia analgesica.

• • Nei casi trattati con antibiotico, l’assenza di un netto

). In questi casi sospendere l’antibiotico ed

(di norma non è necessario l’esame colturale).

faringite batterica, la decisione di usare l’antibiotico si basa

sviluppare l’infezione (stima prevalenza portatori 10

Gruppo di lavoro Antibiotici Territorio - PrCAR, Emilia-Romagna settembre 2024

Figura 1. Esempio di scheda per la gestione della faringotonsillite in età pediatrica.

2. Area innovazione sanitaria e sociale. Schede per la gestione delle infezioni. https://assr.regione.emilia-romagna.it/notizie/2024/ schede-per-la-gestione-delle-infezioni.

3. Gagliotti C, Buttazzi R, Ricchizzi E, et al. Uso di antibiotici e resistenze antimicrobiche in età pediatrica. Rapporto Emilia-Romagna 2024.

Emangiomatosi epatica congenita con ipotiroidismo da consumo in età neonatale

Gianmarco Fiorenza

Scuola di Specializzazione in Pediatria, Università degli Studi di Napoli Federico II, Napoli

Obiettivi

Descrivere un caso clinico di emangiomatosi epatica congenita (HHE) in età neonatale, con particolare attenzione alla diagnosi incidentale, all’associazione con ipotiroidismo da consumo e alla risposta al trattamento combinato con propranololo e terapia sostitutiva tiroidea.

Metodi

È stato analizzato il caso di un lattante di 3 mesi, in buone condizioni cliniche, nel quale la diagnosi di HHE è stata posta incidentalmente durante un’ecografia addominale per screening di displasia congenita dell’anca. La valutazione diagnostica ha incluso ecografia addominale, risonanza magnetica (RMN) epatica, ecocardiogramma e indagini ematochimiche comprensive di profilo tiroideo. Il trattamento è stato avviato con propranololo (Hemangiol) a dosaggio progressivamente aumentato e terapia sostitutiva con L-tiroxina e triiodotironina, con monitoraggio clinico e laboratoristico seriale.

Risultati

Gli esami di imaging hanno confermato una emangiomatosi epatica diffusa. Il paziente ha sviluppato ipotiroidismo da consumo, caratterizzato da TSH elevato e FT3 ai limiti bassi, resistente alle dosi standard di L-tiroxina. L’inizio della terapia combinata ha determinato un progressivo miglioramento del quadro tiroideo e una parziale regressione delle lesioni epatiche già dopo un mese. L’aggiustamento della terapia sostitutiva ha permesso di raggiungere un equilibrio ormonale soddisfacente, evitando complicanze iatrogene.

Conclusioni

Il caso sottolinea l’importanza della diagnosi precoce di HHE anche in assenza di sintomi, al fine di prevenire l’ipotiroidismo da consumo e le sue conseguenze sullo sviluppo neurocognitivo. Il trattamento combinato con propranololo e terapia sostitutiva tiroidea si è dimostrato efficace e sicuro, con regressione delle lesioni epatiche e normalizzazione del profilo

tiroideo. Il monitoraggio clinico e laboratoristico ravvicinato è fondamentale per ottimizzare la gestione terapeutica. gfiorenza1995@gmail.com

Bibliografia

1. Corchia C, Scarpelli G. La mortalità infantile nel 1997. Quaderni acp. 2000;5:10-14.

2. Christison-Lagay ER, Burrows PE, Alomari A, et al. Hepatic hemangiomas: sub-type classification and development of a clinical practice algorithm and registry. J Pediatr Surg. 2007 Jan;42(1):62-7; discussion 67-8.

3. Huang SA, Fischman AJ, Dorfman DM, et al. Severe hypothyroidism caused by consumptive thyroid hormone metabolism in infantile hepatic hemangiomas. N Engl J Med. 2000;343(3):185-189.

4. Léauté-Labrèze C, Dumas de la Roque E, Hubiche T, et al. Propranolol for severe hemangiomas of infancy. N Engl J Med. 2008;358(24):2649-2651.

Sempre colpa del Mycoplasma!

Giulia Marozzi1 , Deborah Cappelletti2 , Viviana D’Errico3

1 Unità Operativa Complessa di Neonatologia e Pediatria, Ospedale Generale Provinciale di Macerata; Scuola di Specializzazione in Pediatria, Università di Siena, Siena

2 Unità Operativa Complessa di Neonatologia e Pediatria, Ospedale Generale Provinciale di Macerata, Macerata

3 Unità Operativa Complessa di Neonatologia e Pediatria, Ospedale Generale Provinciale di Macerata, Macerata; Scuola di Specializzazione in Pediatria, Università La Sapienza di Roma, Roma

La MIRM (Mycoplasma pneumoniae-Induced Rash and Mucositis) è una patologia muco-cutanea che può insorgere dopo sintomi respiratori e febbre. Le lesioni più frequenti sono orali e oculari, seguite da quelle urogenitali. Possibile fisiopatogensi: proliferazione di cellule policlonali B seguita con deposizione di immunocomplessi oppure molecular mimicry dopo l’infezione da Mycoplasma. Terapia: antibiotici e analgesici. Prognosi solitamente favorevole [1,3].

Obiettivi

Evidenziare le manifestazioni dermatologiche da mycoplasma e le diagnosi differenziali

Metodi

M., 14 anni giunge in pronto soccorso per stomatite e febbre da 6 giorni associata a rinite e tosse. Al torace fischi e sibili diffusi con riduzione del murmure alle basi; diffusa mucosite buccale con lesioni crostose, fissurazioni labiali e lesioni ulcerate con depositi di fibrina a livello del cavo orale [Figure 1-3]. Agli esami ematici leucocitosi neutrofila con indici di flogosi incrementati; coagulazione, funzionalità epato-renale, assetto lipidico e ferritina nei limiti. All’RX del torace: polmonite basale destra.

Tabella 1. Indagini infettivologiche eseguite e risultate negative

– Sierologia per Herpes virus (IgG e IgM)

– HSV DNA 1 e 2 su siero

– Tampone colturale faringeo

– Tampone naso-faringeo per ricerca Sars-Cov2 e virus

Influenza A e B

– Ag Adenovirus e Rotavirus su feci

– Tossina Clostridium difficile su feci

– Ag Pneumococco e Legionella Pneumophila su urine

– Urinocoltura

– Emocoltura

Regione Emilia-Romagna.

Riscontro di positività delle IgM anti-Mycoplasma con IgG negative; gli altri esami sierologici e colturali risultano tutti negativi [Tabella 1]. In attesa dell’esito delle analisi colturali, viene impostata terapia con amoxi-clavulanato, fluconazolo e aciclovir. In seconda giornata comparsa di congiuntivite bilaterale e disuria, peggioramento del quadro respiratorio e necessità di supporto con HFNC; viene modificata terapia con piperacillina-tazobactam e claritromicina e inserito corticosteroide. Defervescenza dopo 48 ore dal ricovero con miglioramento della mucosite, scomparsa di disuria e congiuntivite. M. viene dimesso dopo 11 giorni di degenza in buone condizioni generali con ripresa della capacità di alimentarsi.

Tabella 2. Manifestazioni extrapolmonari causate da M. pneumoniae

– Anemia emolitica da agglutinine fredde

– Artrite

– Pericardite

– Trombosi

– Manifestazioni muco cutanee

Tabella 3. Diagnosi differenziale MIRM

– Sindrome di Stevens-Johnson

– Eritema multiforme

– Necrolisi epidermica tossica

Conclusioni

Mycoplasma Pneumoniae è il più comune agente responsabile di polmonite atipica acquisita in comunità in bambini e adolescenti e nel 25% dei casi presenta interessamento extrapolmonare [Tabella 2]. La MIRM presenta una clinica parzialmente sovrapponibile ad altre reazioni dermatologiche [Tabella 3], con le quali è importante porre la diagnosi differenziale per le implicazioni terapeutico-prognostiche che ne conseguono [1-3].

giulia.marozzi@sanita.marche.it

Bibliografia

1. Canavan TN, Mathes EF, Frieden I, Shinkai K. Mycoplasma pneumoniae–induced rash and mucositis as a syndrome distinct from Stevens-Johnson syndrome and erythema multiforme: a systematic review. J Am Acad Dermatol. 2015 Feb;72(2):239–245.

2. Frantz GF, McAninch SA. Mycoplasma pneumoniae-Induced Rash and Mucositis (MIRM). In: StatPearls. Treasure Island (FL): StatPearls Publishing; aggiornato 28 aprile 2024.

3. Pedranzini Q, Gueli A, Dondi E, et al. Atipicità dell’infezione da Mycoplasma: non sempre e solo polmonite. Quaderni acp. 2024;5:202204.

Figura 1. Fissurazioni labiali. Figura 2. Lesioni crostose. Figura 3. Lesioni ulcerate con depositi di fibrina.

Piastrinopenia in età pediatrica: sfide diagnostiche

oltre i confini

della trombocitopenia

immune

Angela Iannicelli1 , Marta Giovengo1 , Diletta Iannaccone1 , Olga Lausi1 , Giuliana Beneduce2 , Giovanna Giagnuolo2 , Giuseppe Menna2

1 Scuola di Specializzazione in Pediatria, Università degli Studi di Salerno; 2 UOC di Oncoematologica Pediatrica, AORN “Santobono-Pausilipon”, Napoli

La trombocitopenia immune (ITP) è la causa più comune di piastrinopenia in età pediatrica, definita da una riduzione isolata della conta piastrinica (<100.000/mm3 ) su base immunomediata. Sebbene nella maggior parte dei casi presenti un decorso benigno e autolimitante, la persistenza della piastrinopenia o la comparsa di reperti clinicolaboratoristici atipici impongono un approfondimento diagnostico mirato per escludere forme secondarie. Descriviamo il caso di una paziente con piastrinopenia persistente e segni di disimmunità, in cui le indagini hanno rilevato un fenotipo ALPS-like con risposta favorevole alla terapia immunomodulante. Il caso evidenzia come un approccio diagnostico graduale e integrato, che includa valutazioni emato-immunologiche e genetiche, sia essenziale per identificare precocemente disordini di immunodisregolazione e ottimizzare la gestione clinica.

Immune thrombocytopenia (ITP) is the most common cause of thrombocytopenia in children and is defined by an isolated, immune-mediated reduction in platelet count (<100.000/mm3 ). Although the disease is usually benign and self-limiting, persistent thrombocytopenia or the emergence of atypical clinical or laboratory findings requires a targeted diagnostic work-up to exclude secondary causes. We describe the case of a patient with persistent thrombocytopenia and signs of immune dysregulation, in whom investigations revealed an ALPS-like phenotype with a favorable response to immunomodulatory therapy. This case highlights the importance of a stepwise and integrated diagnostic approach – including hemato-immunologic and genetic evaluations – as essential to the early identification of immune dysregulation disorders and the optimization of clinical management.

Una paziente di 14 anni è giunta alla nostra osservazione per un episodio di metrorragia, associato a piastrinopenia e anemia di grado moderato. Nel sospetto iniziale di trombocitopenia immune (ITP), è stata avviata terapia con immunoglobuline endovena (IVIg). Gli esami di approfondimento hanno

evidenziato segni di disimmunità, con test di Coombs diretto e indiretto positivi (in assenza di segni di emolisi) e incremento dei linfociti T “doppi negativi” (DNT) CD3+ TCRα/β⁺ CD4 CD8 pari a 1,8%, reperti suggestivi di disregolazione immunologica piuttosto che di ITP. La funzionalità tiroidea e il dosaggio degli anticorpi anti-nucleo (ANA) sono risultati nella norma, escludendo cause endocrino-autoimmuni comunemente associate a citopenia.

In assenza di risposta alle IVIg e alla luce dei reperti di disimmunità, è stata avviata la terapia steroidea (prednisone 1 mg/ kg/die), che ha determinato un rapido incremento della conta piastrinica, seguito tuttavia da una nuova riduzione durante il decalage. Alla sospensione dello steroide, infatti, si è osservata una progressiva e marcata piastrinopenia (fino a valori <25.000/mm 3), che ha reso necessaria la ripresa del trattamento.

Per la concomitante evidenza di carenza marziale e deficit di folati (3,2 ng/mL), a fronte di livelli di vitamina B12 nella norma, è stata avviata supplementazione con ferro e folati, con recupero dell’anemia.

Considerato il profilo immunologico emerso, sono stati dosati marcatori associati a difetti dell’apoptosi linfocitaria. Lo studio delle citochine specifiche per sindrome linfoproliferativa autoimmune (ALPS) ha evidenziato un incremento del ligando solubile di Fas (sFASL, 226 pg/mL) e di interleuchina 18 (IL-18, 475 pg/mL), reperti compatibili con attivazione del pathway FAS. Tuttavia, l’analisi mediante Next Generation Sequencing (NGS) per patologie emato-immunologiche non ha evidenziato mutazioni patogenetiche note.

Un’eziologia clonale o mielodisplastica è stata esclusa mediante studio citologico midollare e biopsia osteo-midollare (BOM), che hanno documentato un’ipoplasia megacariocitaria con prevalenza di elementi di piccola taglia e ipolobulati. La crescita in coltura dei progenitori emopoietici, unitamente ai risultati negativi del test al diepossibutano (DEB), dell’analisi NGS per insufficienze midollari e della ricerca del clone di emoglobinuria parossistica notturna (EPN) su sangue periferico, ha consentito di escludere un’origine midollare del quadro.

Nel complesso, il profilo clinico-laboratoristico risultava coerente con una citopenia disimmune nell’ambito di un fenotipo ALPS-like, orientando la scelta terapeutica verso l’impiego di farmaci immunomodulanti. È stata pertanto avviata terapia con sirolimus, in accordo con le evidenze di efficacia nei casi ALPS/ALPS-like refrattari alle terapie convenzionali. All’ultimo follow-up, l’emocromo ha documentato completa normalizzazione della crasi ematica, con valori di emoglobina 13,1 g/dL, globuli bianchi 4.680/mmc (neutrofili 2.280/mmc) e piastrine 229.000/mmc.

Discussione

La ITP è la più frequente causa di piastrinopenia in età pediatrica e si caratterizza per una riduzione isolata della conta piastrinica (<100.000/mm 3) su base immunomediata, con distruzione periferica e talora ridotta produzione midollare [1]. Il termine “porpora trombocitopenica idiopatica” è oggi superato, poiché non riflette la complessità patogenetica e la variabilità delle manifestazioni cliniche.

Dal punto di vista epidemiologico, la malattia presenta un picco di incidenza tra i 3 e i 5 anni di età, con lieve prevalenza nel sesso maschile e un’incidenza annua stimata tra 1,9 e 6,4 casi per 100.000 bambini. L’esordio è solitamente acuto, spesso successivo a un’infezione virale, e nel 70% dei casi si osserva una remissione spontanea entro 6-12 mesi, a fronte di percentuali sensibilmente più basse negli adulti (45-50%) [2].

Le più recenti raccomandazioni dell’Associazione Italiana di Ematologia e Oncologia Pediatrica propongono una classificazione della malattia basata sulla durata: di nuova diagnosi

(<3 mesi), persistente (3-12 mesi) e cronica (>12 mesi). Una minoranza di pazienti sviluppa forme refrattarie, caratterizzate dal mancato raggiungimento di una risposta soddisfacente ai trattamenti di prima linea e dalla necessità di terapie prolungate e frequenti accessi ospedalieri [1].

In presenza di piastrinopenia isolata e in assenza di altre anomalie clinico-laboratoristiche, l’ipotesi di ITP primaria è la più probabile. Al contrario, la comparsa di sintomi sistemici (febbre persistente, infezioni ricorrenti, perdita di peso, astenia, dolore osteo-articolare o rash cutaneo) o di altre alterazioni laboratoristiche deve orientare verso forme secondarie, richiedendo un approfondimento diagnostico mirato a escludere condizioni autoimmuni, sindromi linfoproliferative, neoplasie, immunodeficienze o esposizioni farmacologiche. Le principali red flag che devono far sospettare diagnosi alternative – in particolare una leucemia acuta – sono riassunte nella Tabella 1.

L’anamnesi rappresenta un elemento cardine del processo diagnostico: un esordio acuto in un soggetto sano, in seguito a infezione virale o una recente vaccinazione, con valori piastrinici precedentemente normali, supporta l’ipotesi di ITP primaria. Viceversa, una storia famigliare di piastrinopenia, un decorso progressivo o la presenza di un quadro sindromico complesso indirizzano verso forme ereditarie o secondarie. Le manifestazioni cliniche variano da petecchie ed ecchimosi isolate a emorragie mucose. Gli episodi emorragici maggiori sono rari, ma il rischio aumenta in presenza di una conta piastrinica <10.000/mm 3, di emorragie mucose protratte, ematuria, sanguinamento gastrointestinale, trauma cranico o uso di farmaci antiaggreganti o anticoagulanti.

La valutazione laboratoristica di primo livello deve includere emocromo completo con striscio di sangue periferico, essenziale per escludere alterazioni morfologiche delle altre linee cellulari e segni suggestivi di piastrinopatie ereditarie. Contestualmente, è indicato lo screening per le principali patologie autoimmuni associate a citopenie, come tiroidite autoimmune e celiachia, e la ricerca di eventuali infezioni virali recenti.

Tabella 1. Red flag di leucemia acuta in presenza di piastrinopenia

Segni clinici

– Astenia marcata, pallore, perdita di peso, inappetenza, febbre persistente – Linfoadenopatie generalizzate, epato-splenomegalia

– Dolore osseo o articolare, zoppia

– Petecchie, ecchimosi diffuse, epistassi

– Alterazioni concomitanti di altre linee cellulari (es. neutropenia)

Significato clinico

– Anemia da ridotta eritropoiesi midollare per infiltrazione leucemica e sintomi sistemici da malattia neoplastica – Infiltrazione leucemica extra-midollare – Infiltrazione midollare e coinvolgimento osteoarticolare da blasti leucemici – Trombocitopenia da ridotta produzione midollare per infiltrazione leucemica – Ridotta mielopoiesi da infiltrazione leucemica

Nei bambini con piastrinopenia è fondamentale riconoscere precocemente segni e sintomi suggestivi di leucemia acuta. Alcuni reperti clinici rappresentano vere e proprie red flag, che devono orientare verso un percorso diagnostico immediato. In tali circostanze, la somministrazione di corticosteroidi va attentamente ponderata, in quanto può modificare il quadro midollare e ritardare la diagnosi.

I principali reperti attesi e gli esami di approfondimento utili nella diagnostica differenziale sono riportati in Figura 1. La ricerca di anticorpi anti-piastrine, per la scarsa sensibilità e specificità, non è raccomandata. Inoltre, la BOM non è indicata nei casi con presentazione clinica tipica e buona risposta alle IVIg [1].

Quando la trombocitopenia non segue un decorso tipico o si associa a elementi suggestivi di disimmunità – come positività del test di Coombs o degli ANA – è opportuno estendere il work-up a indagini di secondo livello. Queste comprendono test immunologici specifici, immunofenotipo linfocitario con valutazione dei linfociti DNT, dosaggio delle citochine

Figura 1. Iter laboratoristico nella valutazione della piastrinopenia in età pediatrica. Abbreviazioni: ALPS, sindrome linfoproliferativa autoimmune; anti-ANA, anticorpi anti-nucleo; DNT, linfociti T doppi negativi (CD3⁺TCRα /β⁺CD4 CD8 ); ENA, anticorpi anti-antigeni nucleari estraibili; Hb, emoglobina; LAC, lupus anticoagulant; MCV, volume corpuscolare medio; MPV, volume piastrinico medio; anti-Tg, anticorpi anti-tireoglobulina; anti-TPO, anticorpi anti-tireoperossidasi.

Tabella 2. Criteri diagnostici rivisti per la diagnosi di ALPS*

Criteri necessari

– Linfoadenopatia cronica (> 6 mesi), non maligna, non infettiva o splenomegalia o entrambe

– Linfociti T CD3⁺, TCR αβ⁺, CD4 , CD8 (doppio-negativi, DNT) elevati (≥1,5% dei linfociti totali o 2,5% dei linfociti CD3⁺), in presenza di conta linfocitaria normale o aumentata

Criteri accessori

Primari

– Difetto dell’apoptosi linfocitaria (dimostrato in 2 saggi distinti)

– Mutazione patogenetica germinale o somatica in FAS, FASL o CASP10

Secondari

– Livelli elevati di sFASL nel plasma (>200 pg/mL) oppure livelli elevati di IL-10 nel plasma (>20 pg/mL) oppure livelli elevati di vitamina B12 nel siero o nel plasma (>1500 ng/L) oppure livelli elevati di IL-18 nel plasma (>500 pg/mL)

– Reperti immunoistologici tipici esaminati da un ematopatologo esperto

– Citopenie autoimmuni (anemia emolitica, piastrinopenia o neutropenia) associate a elevati livelli di immunoglobuline G (ipergammaglobulinemia policlonale)

– Familiarità per linfoproliferazione non maligna/non infettiva con o senza autoimmunità

Tradotto e adattato da voce bibliografica 3

Abbreviazioni: ALPS, sindrome linfoproliferativa autoimmune; CASP10, caspasi 10; FAS, recettore del primo segnale di apoptosi; FASL, ligando del recettore del primo segnale di apoptosi; sFASL, lingando solubile di FAS .

* Una diagnosi definitiva deve soddisfare sia i criteri necessari che almeno un criterio accessorio primario. Una diagnosi probabile può essere formulata sulla base della presenza sia dei criteri obbligatori che di almeno un criterio accessorio secondario.

senza di criteri necessari associati ad almeno un criterio accessorio primario [3]. In assenza di mutazioni note del pathway Fas, ma in presenza di un fenotipo clinico e immunologico suggestivo, la condizione è classificata come ALPS-Undetermined [4]. Il termine ALPS-like descrive invece quadri clinici che, pur condividendo alcune caratteristiche dell’ALPS, non soddisfano pienamente i criteri diagnostici formali. L’approccio terapeutico dipende dalla gravità del sanguinamento e dall’impatto clinico della trombocitopenia. Nelle forme asintomatiche o con manifestazioni cutanee lievi può essere adottato un approccio wait and see, mentre il trattamento farmacologico è riservato ai pazienti con sanguinamento clinicamente significativo (mucose, tratto gastrointestinale, vie urinarie, sistema nervoso centrale) o in condizioni particolari (età prescolare con elevata tendenza a cadere, pubertà femminile con rischio di menorragia, distanza da un centro ospedaliero, necessità di procedure invasive imminenti) [1]. L’obiettivo terapeutico è garantire livelli piastrinici sicuri per l’emostasi (>20.000/mm3), più che normalizzare la conta piastrinica.

Le IVIg rappresentano la terapia di prima linea nei casi che richiedono un incremento piastrinico rapido o il controllo di un sanguinamento attivo, seguite dai corticosteroidi a dosaggio intermedio-alto (per via orale o parenterale). I regimi comunemente utilizzati comprendono: IVIg 0,8-1 g/kg in singola somministrazione (ripetibile dopo 24 h) oppure prednisone orale 1-2 mg/kg/die per circa 15 giorni. Alternative sono metilprednisolone endovena (5-10 mg/kg/die per 3 giorni) o desametasone (0,6 mg/kg/die per 4 giorni consecutivi).

Nei casi refrattari o recidivanti, possono essere considerate terapie di seconda linea, incluse quelle immunomodulanti come il sirolimus, in particolare nei contesti di ALPS o fenotipi ALPS-like.

(sFASL, IL-18), valutazioni funzionali dell’apoptosi e, se indicato, analisi NGS mirata all’identificazione di varianti patogenetiche nei geni coinvolti nella regolazione immunitaria. Tra le condizioni da considerare nel percorso diagnostico, la ALPS rappresenta una delle principali cause di citopenie disimmuni. È caratterizzata da linfoadenopatia e/o splenomegalia persistenti, citopenie autoimmuni e difetto dell’apoptosi linfocitaria dovuto ad alterazioni della pathway Fas, con incremento dei linfociti DNT e livelli elevati di sFASL e IL-18. Come riportato nella Tabella 2 , la diagnosi definitiva richiede la pre-

Tabella 3. Buchanan & Adix bleeding score

Grado di sanguinamento Rischio di sanguinamento Descrizione

Per la valutazione clinica del sanguinamento può essere impiegato il Buchanan & Adix bleeding score [Tabella 3]: un valore ≥3 corrisponde ad almeno un sanguinamento spontaneo severo e richiede l’avvio della terapia. Lo score non sostituisce il giudizio clinico complessivo, ma rappresenta un utile strumento di supporto per la standardizzazione della valutazione del rischio emorragico.

In conclusione, la persistenza di una piastrinopenia in età pediatrica non va considerata una semplice estensione della ITP, ma può costituire il primo segnale di disordini immunologici o clonali. Un approccio diagnostico graduale e integrato, illustrato nella Figura 2 , che includa valutazioni emato-immunologiche e genetiche, è fondamentale per identificare precocemente i meccanismi patogenetici e orientare la gestione terapeutica.

0 Nessuno Nessuna nuova emorragia

1 Minore

2 Lieve

Poche petecchie (<100) e/o <5 lividi piccoli (diametro ≤3 cm), senza sanguinamento mucosale

Molte petecchie (>100) e/o >5 lividi piccoli (diametro ≥3 cm)

3A Rischio basso-moderato Croste di sangue nelle narici, porpora orale indolore, petecchie orali/palatali, porpora buccale a livello dei molari, epistassi lieve <5 minuti

3B Rischio moderato-alto

4 Severo

5 Rischio per la vita

Tradotto e adattato da voce bibliografica 5

Epistassi >5 minuti, ematuria, ematochezia, porpora orale dolorosa, menorragia

Sanguinamento mucosale o sospetta emorragia interna (cervello, polmoni, muscoli, articolazioni, ecc) che richiede attenzione immediata

Documentata emorragia intracranica o emorragia in qualunque sede che mette a rischio la vita del paziente

Trattamento

Trattamento non necessario

Trattamento indicato

Figura 2. Flow-chart diagnostica per la valutazione della piastrinopenia in età pediatrica. La figura riassume un approccio graduale e integrato che combina elementi clinici e laboratoristici per distinguere le forme di ITP primaria da quelle secondarie o associate a immunodisregolazione, evidenziando i punti chiave per l’invio a un centro specialistico di riferimento. Le frecce blu segnalano la progressione logica del percorso diagnostico in presenza dei criteri clinici o laboratoristici specificati. I box con bordo rosso e il box arancio rappresentano i passaggi che richiedono l’intervento di un centro specialistico di riferimento.

Bibliografia

1. Russo G, Parodi E, Farruggia P, et al. Recommendations for the management of acute immune thrombocytopenia in children. A Consensus Conference from the Italian Association of Pediatric Hematology and Oncology. Blood Transfus. 2024 May;22(3):253-265.

2. Despotovic JM, Grimes AB. Pediatric ITP: is it different from adult ITP? Hematology Am Soc Hematol Educ Program. 2018 Nov 30;2018(1):405-411.

3. Matson DR, Yang DT. Autoimmune Lymphoproliferative Syndrome: An Overview. Arch Pathol Lab Med. 2020 Feb;144(2):245251.

4. Magerus A, Rensing-Ehl A, Rao VK, et al. Autoimmune lymphoproliferative immunodeficiencies (ALPIDs): A proposed approach to redefining ALPS and other lymphoproliferative immune disorders. J Allergy Clin Immunol. 2024 Jan;153(1):67-76.

5. Buchanan GR, Adix L. Grading of hemorrhage in children with idiopathic thrombocytopenic purpura. J Pediatr. 2002 Nov;141(5):683688.

angelaiannicelli@virgilio.it

Inquadramento e gestione del bambino con disidratazione

1 Scuola di Specializzazione in Pediatria, Università di Verona

2 UOC Accettazione e Pronto Soccorso Pediatrico, AUOI Verona

3 UOC Accettazione e Pronto Soccorso Pediatrico, AUOI Verona

La disidratazione è motivo frequente di accesso presso l’ambulatorio del pediatra di famiglia e il pronto soccorso. L’inquadramento del bambino con disidratazione necessita di un approccio clinico sistematico, che valuti puntualmente l’anamnesi e l’obiettività, richiedendo in casi specifici l’ausilio degli esami ematici. Il trattamento è finalizzato al recupero dell’euvolemia e deve essere effettuato gradualmente in base allo stato di partenza e all’eventuale presenza di disionie. Il coinvolgimento e la formazione dei genitori è parte integrante del processo terapeutico.

Dehydration is a frequent reason for admission to the family pediatrician’s office and the emergency department. The assessment of the dehydrated child requires a systematic clinical approach which promptly evaluates the anamnesis and the objectivity, requiring in specific cases the aid of blood tests. Treatment is aimed at recovery of euvolemia and should be carried out gradually according to the baseline status and the possible presence of dysionias. Parental involvement and education is an integral part of the therapeutic process.

La disidratazione è una condizione di alterazione del bilancio idrico dovuta alla deplezione di liquidi, che può essere associata o meno a disionia. La maggior parte dei casi di disidratazio-

Flow chart 1. Gestione del bambino con disidratazione.

Disidratazione <3%

Alimentazione abituale + SRO

ne nei bambini è la conseguenza di una gastroenterite acuta. Nonostante l’introduzione del vaccino per Rotavirus, in Italia le gastroenteriti virali continuano a costituire una delle principali cause di ospedalizzazione nei bambini di età inferiore ai 5 anni, con costi significativi per il sistema sanitario [1]. L’acqua corporea totale viene espressa come percentuale del peso corporeo e si modifica con l’età, rappresentando il 75% del peso nel neonato e riducendosi progressivamente fino a rappresentare circa il 50% del peso nell’età adulta. L’equilibrio tra i fluidi dei compartimenti intracellulare ed extracellulare è regolato da forze idrostatiche e oncotiche: nel complesso si verifica uno spostamento netto di liquidi dallo spazio intravascolare a quello extravascolare, per poi essere riportati nella circolazione attraverso le vie linfatiche [2]. La disidratazione provoca una diminuzione dell’acqua corporea totale nei due compartimenti.

I neonati e i lattanti sono particolarmente esposti al rischio di disidratazione a causa dell’elevato metabolismo, per le perdite cutanee da perspiratio insensibilis e per l’incapacità di comunicare il bisogno di idratarsi.

Lo sviluppo dello stato di disidratazione può dipendere da uno o più dei seguenti fattori:

• eccessiva perdita di liquidi: – perdite gastrointestinali, come per infezioni e la stenosi pilorica;

– perdite renali: glicosuria, chetoacidosi diabetica, diabete insipido, diuretici;

– perdite cutanee: per febbre, ustioni;

– emorragie;

• ridotto introito di liquidi: – sequestro nel terzo spazio; – insufficienze d’organo: cardiaca, renale, epatica;

malnutrizione; – aumentata permeabilità capillare, come da sepsi e anafilassi.

Valutazione e gestione del bambino con disidratazione (Flow chart 1)

Clinicamente definiamo la severità della disidratazione sulla base della percentuale del calo ponderale (quando disponibile tale dato) o sulla base dei segni clinici (score, Tabella 1): può essere lieve (3-5%), moderata (6-9%), severa (≥10%) [4]. La va-

Valutazione clinica del bambino con disidratazione. Esami ematici se disidratazione severa

Disidratazione lieve: 3-5%

Disidratazione moderata: 6-9%

Controindicazioni alla reidratazione enterale?

Idratazione per os tollerata?

Reidratazione graduale con SRO.

Nei lattanti continuare l’allattamento

SRO tramite SNGOndansetron

Reidratazione ev con soluzione isotonica

Disidratazione isonatriemica severa: ≥10%

Miglioramento emodinamico, bambino in grado di bere Assenza di shock ipovolemico

Reidratazione per os + ripresa della normale alimentazione

Presenza di shock ipovolemico

Bolo di soluzione isotonica, eventualmente ripetibile

Stabilizzazione emodinamica?

Consulenza intensivistica

Tabella 1. Segni clinici di disidratazione nel lattante e nel bambino [3]

Polsi

Pressione sistolica

Respirazione

Mucosa orale

Fontanella anteriore

Occhi

Lacrimazione

Turgore cutaneo

Temperatura cutanea

Diuresi

Segni sistemici

Disidratazione lieve (3-5%)

Eusfigmici

Regolare

Regolare

Lievemente asciutta

Normotesa

Normali

Presente

Normale

Normale

Normale o lievemente ridotta

Incremento della sete

Disidratazione moderata (6-9%)

Rapidi

Regolare

Atti profondi, iniziale tachipnea

“Impastata”

Lievemente depressa

Lievemente infossati

Ridotta

Ridotto

Ridotta

Molto ridotta

Irritabilità

lutazione del bambino con disidratazione inizia con l’anamnesi: è importante indagare il peso più recente, l’assunzione idrica e alimentare, il numero di pannolini bagnati giornalieri, la frequenza delle scariche liquide e degli episodi di vomito [5]. I segni clinici che maggiormente si correlano con uno stato di disidratazione comprendono: il tempo di riempimento capillare (TR) prolungato, il ridotto turgore muco-cutaneo, la frequenza respiratoria irregolare [4]. Il TR è il tempo richiesto per il ritorno del colorito cutaneo roseo a seguito di una pressione esercitata per cinque secondi in una zona di cute calda e non sudata (tronco o letto ungueale) e il cutoff di normalità è di 2 secondi [5]. Esso costituisce un segno specifico ma non sensibile: pertanto, se un TR allungato aumenta la probabilità di un esito grave, tra cui shock e morte, un TR normale non lo esclude [6].

Per “turgore cutaneo” si intende la propensione della pelle a tornare rapidamente al suo profilo normale dopo essere stata sollevata in una piega pizzicata tra il pollice e l’indice dell’esaminatore. In caso di disidratazione, questa piega si riduce più lentamente [7].

La polipnea, definita dalla presenza di respiri profondi e rapidi, può essere suggestiva di un quadro di acidosi metabolica nella disidratazione moderata-severa.

La valutazione medica include altri segni clinici [Tabella 1].

L’obiettivo è fornire un punto di partenza per il trattamento e la gestione, al fine di determinare quali pazienti possono essere inviati a domicilio, quali dovrebbero rimanere in osservazione e quali dovrebbero ricevere nell’immediato un trattamento più intensivo.

Gli esami di laboratorio (la funzionalità renale, gli elettroliti sierici, la glicemia e l’emogasanalisi) vanno riservati ai bambini con disidratazione severa, con patologie di base, di età inferiore ai 3 mesi o che necessiteranno di idratazione parenterale [5].

In caso di disidratazione lieve, è raccomandato in prima linea l’uso di soluzione reidratante orale (SRO), lasciando il bambino libero di bere.

Nella disidratazione moderata si consiglia di offrire la SRO a piccoli sorsi a intervalli ravvicinati, aumentando progressivamente le quantità (adottando per esempio il seguente schema: 5 mL ogni 2 minuti per i primi 10 minuti, 10 mL ogni 5 minuti durante i 20 minuti seguenti, quindi 20 mL ogni 10-15 minuti per 30 minuti). In caso di vomito, mantenere il digiuno per 30 minuti prima di riprendere l’idratazione secondo lo schema appena riportato.

Nei lattanti si raccomanda di proseguire l’allattamento [9].

Disidratazione severa (≥10%)

Rapidi e deboli

Ridotta

Atti profondi, tachipnea, bradipnea

Asciutta

Depressa

Molto infossati

Assente

Ridotto “a tenda”

Ridotta, pallore cutaneo, acrocianosi

Minima, anuria

Astenia profonda, letargia, coma

Dopo 4-5 ore dall’avvio della reidratazione può essere ripresa l’alimentazione per os con apporti dietetici adeguati per età, mantenendo la SRO per compensare le eventuali perdite subentranti. La SRO raccomandata dall’OMS costituisce una miscela bilanciata di elettroliti e glucosio [Tabella 2]. Il glucosio facilita l’assorbimento del sodio nell’intestino tenue, l’apporto di sodio e potassio ripristina le perdite elettrolitiche, il citrato corregge l’acidosi [10].

Altre bevande zuccherate come i succhi di frutta, le bevande gassate e quelle per sportivi, presentano, rispetto alla SRO, un elevato apporto di zuccheri e ridotte quantità di sodio. Pertanto non sono raccomandate perché favoriscono la diarrea osmotica.

E se il bambino non tollera l’idratazione per os?

Nei casi in cui si rende difficoltosa l’idratazione per os (per scarsa collaborazione, difficoltà ad assumere quantità di liquidi adeguate), la Società Europea di Gastroenterologia, Epatologia e Nutrizione Pediatrica (ESPGHAN) raccomanda di somministrare la SRO tramite sondino naso-gastrico (SNG). Questo approccio si è rivelato avere minori complicanze rispetto alla somministrazione endovenosa (si evita il rischio di flebite, ha tempi di degenza ospedaliera inferiori e costi minori) a parità di efficacia [9].

Il regime di reidratazione rapida via SNG (40-50 mL/kg in 3-6 ore) e quello standard (pari al mantenimento nelle 24 ore) sono ugualmente efficaci. È preferibile la reidratazione standard in presenza di lattanti sotto i 6 mesi, comorbidità, addominalgia severa o portatori di PEG/stomie.

Sebbene la reidratazione enterale sia preferibile a quella endovenosa, questo approccio non è universalmente applicato nella pratica clinica, probabilmente perché l’utilizzo del SNG è talvolta considerato più invasivo o meno efficace. In tali contesti suggeriamo di rivalutarne l’impiego, anche in quelle situazioni in cui fallisce il posizionamento dell’accesso venoso periferico. Nei bambini che non tollerano l’idratazione per os a causa del vomito persistente e di recente insorgenza può essere utile la somministrazione di ondansetron per via orale (dose per os 0,15 mg/kg, massimo 8 mg). Nel nostro pronto soccorso pediatrico abbiamo a disposizione ondansetron sotto forma di film sublinguali che rendono la somministrazione semplice ed efficace. Una volta assunto, la reidratazione graduale con SRO a piccoli sorsi va ripresa dopo almeno 15 minuti. L’ondansetron migliora l’efficacia della terapia reidratante orale, riduce il ricorso alla terapia endovenosa e il tasso di ospedalizzazio-

Tabella 2. Composizione della soluzione reidratante orale OMS 2002 [10]

ne [11,12]. Se ne sconsiglia l’utilizzo nei pazienti con sindrome del QT lungo o con fattori di rischio per allungamento del QT (assunzione di farmaci che allungano il QT, anomalie elettrolitiche, scompenso cardiaco, bradiaritmie).

Un recente lavoro pubblicato sul The New England Journal of Medicine ha dimostrato che, nei bambini di età compresa tra i 6 mesi ai 18 anni, la prescrizione di ondansetron per uso domiciliare al momento della dimissione migliora i sintomi della gastroenterite rispetto al placebo, in assenza di eventi avversi significativi [12]. Tale studio fornisce evidenze sui benefici dell’ondansetron post dimissione e potrebbe supportare un aggiornamento delle linee guida in uso.

Quando è indicata l’idratazione endovenosa? È indicato il passaggio alla somministrazione endovenosa nei seguenti casi: shock, alterato livello di coscienza, fallimento dell’idratazione enterale (per os o tramite SNG), vomito persistente, occlusione intestinale. In questi casi, verranno effettuati esami ematici (elettroliti inclusi) e verrà posizionato l’accesso venoso periferico.

Gestione della disidratazione isonatriemica severa

In caso di disidratazione severa, il trattamento può essere schematizzato in tre fasi: la prima di rianimazione e stabilizzazione, la seconda finalizzata al recupero del deficit idrico e al mantenimento, la terza in cui si prosegue l’idratazione di mantenimento con l’eventuale ripristino delle perdite subentranti. Le prime due fasi vanno completate in 24 ore. Le indicazioni seguenti sono tratte dalle linee guida dell’Accademia Americana di Pediatria (AAP) [13]. Tali indicazioni non sono applicabili alle seguenti categorie: neonati di età inferiore a 28 giorni, pazienti di età superiore ai 18 anni, pazienti con disturbi neurochirurgici, cardiopatie, malattie epatiche, neoplasie, disfunzione renale, diabete insipido, diarrea acquosa voluminosa o gravi ustioni [13].

Disidratazione severa: 1ª fase

In caso di shock ipovolemico, somministrare un bolo di cristalloidi isotonici da 10 mL/kg in 5-10 minuti. Un secondo ed eventuale terzo bolo può essere necessario per ripristinare la pressione arteriosa e la perfusione dei tessuti [14]. Se dovessero fallire, è opportuno prendere in considerazione altre cause di shock e richiedere una consulenza intensivistica.

Disidratazione severa: 2ª fase

Una volta ripristinato un volume circolante adeguato, sarà opportuno pianificare l’idratazione delle successive 24 ore con l’obiettivo di reintegrare le perdite, fornire i fluidi di mantenimento e integrare eventuali perdite subentranti. Non esistono protocolli univoci per condurre questa fase della reidratazione. Proponiamo la strategia esposta nel Box 1, in accordo con le linee guida AAP [13]. È indicato per questa fase l’utilizzo di soluzioni saline isotoniche, come il ringer lattato (RL) o la soluzione fisiologica NaCl

Box 1. Disidratazione isonatriemica severa, 2a fase

1. Calcolare il volume di mantenimento delle 24 ore e il deficit idrico.

Il volume di mantenimento è ottenibile dalla formula di Holliday-Segar (massimo 2400 mL/die).

Peso corporeo del bambino mL/kg/die

Fino a 10 kg 100

Dall’11° al 20° kg 50

Per ogni ulteriore kg di peso 20

Il deficit idrico corrisponde al calo ponderale dovuto alla disidratazione, in quanto 1 kg di peso perso corrisponde a 1 L di liquidi persi.

Si può ottenere anche tramite la seguente formula (deficit idrico in mL):

peso del paziente precedente alla disidratazione (in kg) × 10 × % disidratazione.

In alternativa, se è ignoto il calo ponderale, utilizzare gli score clinici.

2. Sottrarre al deficit idrico l’eventuale quantità di fluido somministrata tramite i boli iniziali per la rianimazione.

3. Nelle prime 8 ore, somministrare metà del deficit idrico + il volume di mantenimento.

4. Nelle successive 16 ore, somministrare l’ulteriore metà del deficit idrico + il volume di mantenimento.

In caso di perdite subentrati, addizionare 10 mL/kg per ogni scarica e 2 mL/kg per ogni episodio di vomito.

0,9% (SF), con l’aggiunta di destrosio 5% e di KCl 20 mEq/L (quest’ultimo da addizionare solo a diuresi attiva e dopo aver documentato la normalità della funzionalità renale, con creatinemia e azotemia nella norma). In commercio sono disponibili diverse soluzioni saline già pronte, tuttavia esse sono ipotoniche rispetto alla quantità di Na presente. Per tale motivo nella nostra realtà abbiamo raggiunto il compromesso di supplementare tali soluzioni con NaCl [Tabella 3].

Disidratazione severa: 3ª fase

Nella terza fase della fluidoterapia, si prosegue l’idratazione di mantenimento con eventuale supplemento per le perdite subentranti, fino a completa ripresa dell’autonomia nell’adeguata idratazione per os.

Le linee guida AAP raccomandano per il mantenimento l’utilizzo di liquidi isotonici (SF, RL) con l’aggiunta di destrosio 5% e KCl 10-20 mEq/L.

È fondamentale monitorare il peso, la diuresi e gli elettroliti, in modo da regolare la velocità di infusione e la composizione della soluzione endovenosa in base a eventuali alterazioni elettrolitiche o dello stato di idratazione [15] [Box 2].

Tabella 3. Principali cristalloidi utilizzati in pediatria

Box 2. Disidratazione isonatriemica severa, 3a fase, esempio

Paziente di 15 kg (peso precedente alla disidratazione), con una disidratazione del 10%. Somministrato inizialmente un bolo da 150 mL (10 mL/kg).

1. Volume di mantenimento nelle 24 h: 100 mL/kg/die per i primi 10 kg, 50 mL/kg/die per i successivi 5 kg → 1250 mL/24 h → 52 mL/h.

Calcolo del deficit idrico (in mL): peso del paziente precedente alla disidratazione (in kg) × 10 × % disidratazione: → 15 × 10 × 10 = 1500 mL.

2. Sottrarre al deficit idrico il bolo già somministrato: 1500 mL – 150 mL = 1350 mL.

3. Nelle prime 8 h somministrare metà del deficit idrico + il volume di mantenimento: 1350 mL/2 in 8 h + 52 mL/h = 675 mL in 8 h + 52 mL/h = 85 mL/h + 52 mL/h = 137 mL/h.

4. Nelle successive 16 h somministrare l’ulteriore metà del deficit idrico + il volume di mantenimento: 1350 mL/2 in 16 h + 52 mL/h = 675 mL in 16 h + 52 mL/h = 42 mL/h + 52 mL/h = 94 mL/h.

Successivamente proseguire l’idratazione di mantenimento (velocità 52 mL/h) con eventuale supplemento per le perdite subentranti.

Disidratazione iponatriemica (Flow chart 2)

L’iponatriemia è la presenza di una concentrazione sierica di sodio inferiore a 135 mEq/L. In base alla concentrazione, si considera:

• lieve, se la natremia è compresa tra 130 e 134 mEq/L;

• moderata: se compresa tra 120 e 129 mEq/L;

• severa: se inferiore a 120 mEq/L.

Dal punto di vista eziologico, distinguiamo l’iponatriemia ipovolemica, la cui causa principale nel bambino è la diarrea in corso di gastroenterite, normovolemica e ipervolemica [Tabella 4]. Si distingue inoltre la pseudoiponatriemia, considerabile come artefatto di laboratorio in presenza di iperproteinemia o iperlipidemia. L’iponatriemia acuta (insorgenza da meno di 48 h) risulta di solito asintomatica fino a valori di sodio pari a 125 mEq/L. Per valori inferiori, se si instaura acutamente, possono comparire sintomi attribuibili a edema cerebrale, quali cefalea, nausea, emesi, letargia, crisi epilettiche, coma. Possono inoltre essere presenti ipotermia, respiro di Cheyne-Stokes, crampi muscolari.

Disidratazione iponatriemica

Na < 135 mEq/L

Iponatriemia asintomatica

Iponatriemia severa con sintomi neurologici

Idratazione ev con soluzione isotonica:

– monitorare la sodiemia ogni 2-4 h; – incremento della sodiemia di 6-8 mEq/L in 24 h. RISOLUZIONE

Bolo di soluzione ipertonica 3% 3-5 mL/kg in 10-15 minuti, ripetibile se persistenza delle crisi.

Box 3. Calcolo del deficit di sodio

Formula per il calcolo del deficit di Sodio (in mEq, da addizionare al volume di isotonica da infondere in 24 h): (135 – Na sierico in mEq/L) peso del paziente in kg × 0,6.

Dove:

135 = valore target di Na desiderato in mEq/L; peso × 0,6: corrisponde al volume di acqua corporea totale in L.

Gestione della disidratazione iponatriemica asintomatica La correzione della disidratazione con iponatriemia lieve si effettua tramite l’infusione di soluzioni glucoelettrolitiche isotoniche; in quella moderata-severa addizioniamo il deficit di sodio del paziente [17] [Box 3]. L’incremento della concentrazione di Na raccomandato è pari a 6-8 mEq/L nelle 24 h (e non superiore ai 10-12 mEq/L in 24 h), per evitare il rischio di mielinolisi pontina cerebrale. È necessario pertanto monitorare strettamente la natriemia (inizialmente ogni 2-4 h), adeguando la concentrazione di sodio del fluido o la velocità di infusione, sulla base del tasso di correzione e dello stato di idratazione.

Gestione della disidratazione iponatriemica severa sintomatica

La correzione dell’iponatriemia severa con sintomi neurologici (convulsioni, alterazione dello stato di coscienza) si effettua mediante l’infusione di un bolo di soluzione salina ipertonica 3% (la cui concentrazione di Na è 513 mEq/L), al dosaggio di 3-5 mL/kg, in 10-15 minuti, da ripetere eventualmente in seconda somministrazione in caso di persistenza delle crisi [16]. Una volta ottenuta la remissione dei sintomi e l’aumento della natriemia, si prosegue la correzione mediante l’infusione di soluzione isotonica, come visto nel paragrafo precedente. È sempre necessario monitorare la natriemia ogni 2-4 h, correggendo eventualmente la velocità di infusione in modo tale da ottenere un aumento del Na di 6-8 mEq/L in 24 h. A tal punto è possibile ridurre la frequenza dei monitoraggi.

Disidratazione ipernatriemica (Flow chart 3)

È definita da una concentrazione di sodio sierico superiore a 145 mEq/L. Può essere dovuta a cause che comportano nell’organismo un eccesso di sodio (prevalentemente iatrogeno), un deficit di acqua o un deficit di acqua e sodio, dove quello di acqua è prevalente [Tabella 5].

La causa più frequente nei bambini è la gastroenterite, in quanto la diarrea è mediamente ipotonica e la disionia può essere prevenuta mediante la somministrazione di liquidi più

Disidratazione ipernatriemica

Na > 145 mEq/L

Se presente disidratazione severa: bolo di soluzione fisiologica 10 mL/kg, eventualmente ripetibile.

Flow chart 2. Disidratazione iponatriemica.

Disidratazione non severa e paziente stabile: emifisiologica.

– Monitorare la sodiemia ogni 4-6 ore.

– Diminuzione della sodiemia non superiore ai 0,5 mEq/L/h.

Flow chart 3. Disidratazione ipernatriemica.

Tabella 4. Iponatriemia, cause [2] Ipovolemica Normovolemica Ipervolemica

Perdite extrarenali: gastrointestinali, cutanee, perdite dal terzo spazio.

Perdite renali: diuretici, ipoaldosteronismo, condizioni con perdita renale di sale, diuresi postostruttiva, fase poliurica della necrosi tubulare acuta.

Tabella 5. Ipernatriemia, cause

Eccesso di sodio

SIADH.

Desmopressina acetato. Intossicazione da acqua (anche iatrogena da somministrazione di liquidi ipotonici).

Deficit di glucocorticoidi. Ipotiroidismo.

Deficit di acqua

Sindrome nefrosica. Insufficienza renale acuta e cronica. Cirrosi. Ipoalbuminemia. Insufficienza cardiaca.

Deficit di acqua e sodio Eccesso di bicarbonato di sodio.

Somministrazione di soluzione ipertonica. Avvelenamento da sale (preparazione scorretta del latte in formula, abuso di minore).

Diabete insipido nefrogeno e centrale.

Perdite insensibili (più frequente nei neonati prematuri): da calore radiante (fototerapia), allattamento inefficacie, adipsia.

ipotonici rispetto alle perdite fecali, quali acqua, succhi di frutta e latte in polvere.

Le manifestazioni cliniche sono spesso inizialmente assenti o sfumate, in quanto l’eccesso di sodio sierico richiama acqua dal comparto intracellulare, motivo per cui i bambini giungono all’attenzione quando ipernatriemia e disidratazione sono a uno stadio avanzato (in particolare nelle cause da deficit di acqua). La maggior parte dei bambini presenta i segni e sintomi tipici della disidratazione. Inizialmente possono essere presenti irritabilità, debolezza, letargia, febbre, pianto acuto, tachipnea e cute “pastosa” alla manovra di pinzamento. Le manifestazioni severe si presentano quando la natriemia supera i 160 mEq/L: sono a carico del sistema nervoso centrale e comprendendo letargia, coma, convulsioni, emorragie cerebrali e trombosi.

L’esecuzione di un esame urine risulta dirimente nella distinzione delle cause di ipernatriemia:

• urine a ridotta osmolarità: nel diabete insipido centrale e nefrogenico e nelle cause renali di deficit di acqua e sodio;

• urine a osmolarità elevata (> 1000 mOsm/kg) e Na urinario ridotto (< 20 mEq/L): nell’ipernatriemia da perdite gastrointestinali, cutanee, perdite insensibili, adipsia;

• urine a osmolarità elevata (> 1000 mOsm/kg) e Na urinario aumentato (> 20 mEq/L): nelle cause di ipernatriemia da eccessivo introito di sodio.

Gestione della disidratazione ipernatriemica

Se il paziente presenta disidratazione severa, è necessario stabilizzarlo mediante uno o più boli di soluzione fisiologica alla dose di 10 mL/kg in 10 minuti. Una volta stabilizzato, si imposta la fluidoterapia per la correzione dell’ipernatriemia. Il fluido iniziale raccomandato è la soluzione emifisiologica, costituita per metà da una glucosata 5%, per metà da soluzione fisiologica, con l’aggiunta di KCl 20 mEq/L (se la funzionalità renale è normale e la diuresi è valida). Ricordiamo che una correzione troppo rapida può causare edema cerebrale con possibile insorgenza di crisi epilettiche, erniazione cerebrale e morte. Per minimizzarne i rischi, il tasso di correzione dell’ipernatriemia non deve essere superiore ai 10-12 mEq/L nelle 24 h (ossia non superiore a 0,5 mEq/L di Na per ora). Inizialmente la velocità di infusione dovrebbe essere pari a 1,25-1,5 volte la velocità di mantenimento. Una volta avviata l’infusione, è fondamentale controllare la natriemia ogni 4-6 ore. Se la natriemia si riduce troppo rapidamente, ridurre la velocità di infusione o aumentare la concentrazione di sodio. La diminuzione eccessivamente rapida della natriemia può determinare edema cerebrale con crisi epilettiche e alterazione dello stato di coscienza. In questo caso, si consiglia di somministrare soluzione salina ipertonica 3% alla dose di 3-5 mL/

Perdite gastrointestinali.

Perdite cutanee.

Perdite renali (disfunzione tubulare, diuresi postostruttiva, fase poliurica dell’IRA, diuretici osmotici).

kg. Se la natriemia si riduce troppo lentamente, è possibile aumentare la velocità di infusione o ridurre la concentrazione di sodio [2].

Conclusioni

Il paziente con disidratazione giunge di frequente all’attenzione del pediatra, sia a livello ambulatoriale che del pronto soccorso pediatrico, e la gastroenterite acuta ne costituisce la causa prevalente. Una valutazione anamnestica completa, il riconoscimento dell’eventuale calo ponderale e uno scrupoloso esame obiettivo risultano essenziali per l’inquadramento del paziente e della sua gestione. L’idratazione enterale (per os o tramite SNG) con SRO costituisce sempre la prima linea di trattamento e l’ondansetron può essere uno strumento da tenere presente in caso di vomito incoercibile nel paziente con disidratazione lieve-moderata (anche in setting ambulatoriali). L’esecuzione degli esami ematochimici, dell’emogasanalisi e dell’esame urine vanno riservati ai pazienti con disidratazione severa o in caso di fallimento dell’idratazione enterale. In presenza di disidratazione isonatriemica severa o di disionie si consiglia di reidratare il paziente per via endovenosa, in quanto ciò assicura un miglior controllo della somministrazione e una maggior efficacia di intervento. Il monitoraggio frequente degli elettroliti e della funzionalità renale sono parte fondamentale della gestione.

È importante istruire i genitori sulla prevenzione della disidratazione e delle sue complicanze: incoraggiare il bambino a bere frequentemente a piccoli sorsi, in caso di vomito rispettare il digiuno prima di riprendere l’idratazione, insegnare ai genitori a identificare il grado di severità della disidratazione in modo da poter gestire a domicilio le situazioni lievi o recarsi tempestivamente a valutazione medica in quelle severe (si rimanda all’allegato on line).

Allegati on line

Come identificare e gestire il bambino disidratato. Guida per i genitori [19]

Bibliografia

1. Stanyevic B, Sepich M, Biondi S, et al. The evolving epidemiology of acute gastroenteritis in hospitalized children in Italy. Eur J Pediatr. 2022 Jan;181(1):349-358.

2. Kliegman RM, St Geme JW, Blum NJ, et al. Pediatria di Nelson. 21a edizione. Capitoli 68-69-70.

3. Michael J Somers. Clinical assessment of hypovolemia (dehydration) in children. UpToDate.

4. Steiner MJ, DeWalt DA, Byerley JS. Is this child dehydrated? JAMA. 2004 Jun 9;291(22):2746-2754.

5. Stephen B. Freedman, Jennifer D. Thull-Freedman. Pediatric Dehydration Assessment and Oral Rehydration Therapy. The practical journal of pediatric emergency medicine 2008:13-23.

6. Fleming S, Gill P, Jones C, et al. The Diagnostic Value of Capillary Refill Time for Detecting Serious Illness in Children: A Systematic Review and Meta-Analysis. PLoS One. 2015 Sep 16;10(9):e0138155.

7. Dorrington KL. Skin turgor: do we understand the clinical sign? Lancet. 1981 Jan 31;1(8214):264-266.

8. Fayomi O, Maconochie I, Body R. Towards evidence based emergency medicine: best BETs from the Manchester Royal Infirmary. Is skin turgor reliable as a means of assessing hydration status in children? Emerg Med J. 2007 Feb;24(2):124-125.

9. Guarino A, Ashkenazi S, Gendrel D, et al. European Society for Pediatric Gastroenterology, Hepatology, and Nutrition/European Society for Pediatric Infectious Diseases evidence-based guidelines for the management of acute gastroenteritis in children in Europe: update 2014. J Pediatr Gastroenterol Nutr. 2014 Jul;59(1):132-152.

10. World Health Organization. Oral Rehydration Salts: production of the new ORS. 2006.

11. Niño-Serna LF, Acosta-Reyes J, Veroniki AA, et al. Antiemetics in Children With Acute Gastroenteritis: A Meta-analysis. Pediatrics. 2020 Apr;145(4):e20193260.

12. Freedman SB, Williamson-Urquhart S, Plint AC, et al. Multidose Ondansetron after Emergency Visits in Children with Gastroenteritis. N Engl J Med. 2025 Jul 17;393(3):255-266.

13. Feld LG, Neuspiel DR, Foster BA, et al. Clinical Practice Guideline: Maintenance Intravenous Fluids in Children. Pediatrics. 2018 Dec;142(6):e20183083.

14. Djakow J, McBeth Turner N, Skellett S, et al. European Resuscitation Council Guidelines 2025 Paediatric Life Support. Resuscitation. 2025 Oct:215 Suppl 1:110767.

15. Somers MJ. Maintenance intravenous fluid therapy in children. UpToDate.

16. Somers MJ, Traum AZ. Hyponatremia in children: Evaluation and management. UpToDate.

17. Anderson C, Kapoor S, Mark T. The Harriet Lane Handbook – The Johns Hopkins Hospital, 2023. 23a edition. Chapter 11.

18. Somers MJ, Traum AZ. Hypernatremia in children. UpToDate. May 2023.

19. Dehydration in babies and children. The Royal Children’s Hospital Melbourn. https://www.rch.org.au/kidsinfo/fact_sheets/Dehydrattion/

davide.pace@studenti.univr.it

In ricordo di un grande uomo: Adriano Cattaneo (1947-2025)

La scomparsa di Adriano Cattaneo, avvenuta il 6 dicembre, lascia un vuoto incolmabile e un profondo senso di gratitudine in tutti coloro che hanno avuto il privilegio di conoscerlo e di collaborare con lui. Per la comunità scientifica, nazionale e internazionale – alla quale ha offerto contributi essenziali – Adriano è stato molto più di un collega: è stato un faro etico, un maestro di scienza e un insostituibile punto di riferimento umano.

Medico, chirurgo, ma soprattutto epidemiologo rigoroso, Adriano Cattaneo ha incarnato un raro connubio di profonda competenza scientifica e coerenza morale cristallina. La sua carriera è stata un lungo e articolato percorso professionale che l’ha visto impegnato dalle corsie ospedaliere in Italia fino alla cooperazione internazionale in Africa (Kenya, Mozambico) e in America Latina (Nicaragua), oltre al suo ruolo di consulente per l’Organizzazione Mondiale della Sanità (OMS) a Ginevra e Trieste. Il suo approccio al sapere era caratterizzato da una lucidità intellettuale e da una capacità di analisi che non lasciavano spazio alla superficialità. Come molti ricordano, sapeva far parlare i dati, utilizzando l’epidemiologia come strumento fondamentale per una medicina basata sulle evidenze e per una lettura critica dei determinanti della salute. Non rispondeva mai “di pancia”, ma si prendeva il tempo necessario per offrire risposte sempre circostanziate ed efficaci. Adriano è stato una figura centrale e instancabile nel dibattito sulla tutela dei diritti dei bambini e sulla salute pubblica, in particolare come sostenitore del gruppo NoGrazie (di cui è stato tra i fondatori) e della Rete Italiana di Boicottaggio Nestlè. Per anni, la Lettera periodica di NoGrazie si è retta sul suo prevalente contributo, sempre caratterizzato da precisione e chiarezza. Ha lottato con fermezza contro le disuguaglianze sociali e, soprattutto, contro la prevaricazione del marketing nel campo dell’alimentazione infantile. La sua battaglia per l’allattamento materno, uno dei suoi interessi maggiori, era animata dalla profonda fiducia nel potere e nelle capacità delle madri come motore di cambiamento sociale e culturale.

Oltre che per l’enorme spessore professionale, Adriano era ricordato da tutti per la sua mitezza e umiltà. Era un uomo appassionato e desideroso di cambiare il mondo, ma lo faceva sempre con uno stile equilibrato, garbato, forte e competente. Era capace di entrare nel dibattito e nel conflitto di idee con un tatto, una chiarezza e una dolcezza esemplari, restando sempre aperto alla discussione oltre le ideologie e i preconcetti.

Per le comunità che ha frequentato, è stato un maestro insostituibile di scienza e di morale. Ci ha insegnato a non cedere alle lusinghe commerciali, perché il compromesso non paga. Ci mancherà enormemente la sua presenza discreta, il suo sguardo lucido e la sua capacità di tracciare la direzione.

Il nostro abbraccio commosso va alla sua compagna, Sofia – sodale nelle battaglie per la salute infantile – ai figli Giulia e Carlo, e alle nipoti Nina e Nausicaa.

L’eredità culturale e umana che Adriano Cattaneo ci lascia è immensa e impegna le comunità che lui ha contaminato a portare avanti con la stessa straordinaria passione e coerenza i valori di etica, equità e rigore scientifico che ha incarnato in ogni sua scelta.

Grazie, Adriano, per l’esempio e la guida.

In questo numero la rubrica Focus ospita due contributi sull’utilizzo del Nirsevimab per la profilassi delle infezioni gravi da virus respiratorio sinciziale. Il primo articolo tratta l’argomento sulla corretta informazione ai genitori della profilassi con Nirsevimab focalizzandosi sul conflitto di interessi ed è accompagnato da un commento a firma di Massimo Farneti. Il secondo contributo mette in evidenza la buona efficacia e la sicurezza di questa profilassi in ambito territoriale. Quaderni acp ha ospitato anche un articolo a cura di Melodie Aricò e colleghi sull’efficacia del Nirsevimab in ambito ospedaliero (Quaderni acp 2025;32;3:112-114).

Siamo addolorati per la recente scomparsa di Adriano Cattaneo, coautore dell’articolo che segue, e comunque estremamente onorati di poter ospitare questo suo ultimo contributo (il nostro ricordo di Adriano è a pagina 19).

Invitiamo i nostri lettori a un approccio critico alla complessità del tema.

Come spiegare il Nirsevimab ai genitori

Una guida per i clinici per comunicare in modo efficace numeri, rischi e benefici

Iaboli1 , Adriano Cattaneo2

1 Medico, Modena

2 Epidemiologo in pensione, Trieste

Il Nirsevimab è ormai proposto ai genitori di quasi tutti i neonati e bambini italiani entro i due anni di età per la prevenzione della bronchiolite da virus respiratorio sinciziale e l’eventuale ricovero in ospedale. Le informazioni attualmente fornite ai genitori per ottenere il consenso informato sono complesse. Questo articolo è una guida per i professionisti (pediatri e neonatologi) che propone l’utilizzo di due indicatori, NNT (Number Needed to Treat) e NNH (Number Needed to Harm), utili a stimare in modo immediato la probabilità che la profilassi abbia esiti positivi o effetti avversi. Inoltre, questa guida vuole approfondire i segnali di farmacovigilanza emersi nella fase di postmarketing del farmaco, con l’obiettivo di supportare una valutazione clinica più consapevole del rapporto beneficio/ rischio.

Nirsevimab is now being offered to the parents of almost all newborns and children in Italy under two years of age for the prevention of bronchiolitis caused by the respiratory syncytial virus (RSV) and potential hospitalization. The information currently provided to parents to obtain informed consent is complex. This article serves as a guide for healthcare professionals (pediatricians and neonatologists), proposing the use of two indicators, NNT (Number Needed to Treat) and NNH (Number Needed to Harm), to help quickly estimate the likelihood of the prophylaxis leading to beneficial outcomes or adverse effects. In addition, this guide aims to examine pharmacovigilance signals that have emerged during the post-marketing phase of the drug, to support a more informed clinical assessment of the benefit–risk ratio.

Premessa

Il Nirsevimab rappresenta senza dubbio un importante progresso nella gestione di un’infezione per la quale in precedenza non erano disponibili terapie farmacologiche. Fornire ai genitori informazioni complete e trasparenti sui potenziali benefici e rischi è un dovere etico e professionale, indispensabile per garantire un consenso realmente informato e libero da influenze commerciali.

La redazione

Nei moduli di consenso informato, il beneficio del farmaco è tipicamente presentato in termini di variazioni relative di rischio. Il rischio relativo non fornisce indicazioni sulla frequenza reale dell’evento nella popolazione. Una riduzione del rischio del 100% può apparire impressionante, ma se si passa da 2 casi a 1 su 10.000 persone, la differenza assoluta è minima. Da tempo è noto che presentare i benefici di un trattamento in termini di rischio relativo rende la percezione dell’intervento più favorevole rispetto alla presentazione dello stesso in termini di riduzione del rischio assoluto [1]. Inoltre, per il clinico che deve informare i genitori su efficacia e sicurezza di un nuovo farmaco, è essenziale considerare l’impatto delle strategie promozionali delle aziende produttrici, che possono orientare l’informazione in senso favorevole ai benefici [2], riducendo la percezione dei possibili effetti avversi. Basta una verifica sul sito web dell’azienda produttrice del Nirsevimab, Sanofi, per rendersi conto della pervasività dei finanziamenti a medici e associazioni professionali [3,4]. La Tabella 1 mostra come l’azienda ha finanziato attivamente le 5 associazioni professionali che nel febbraio 2023 hanno sottoscritto un documento sulla necessità di introdurre la profilassi universale con Nirsevimab [5]. Sempre sul sito web dell’azienda, è possibile constatare come molti degli autori che fanno parte del board del “Calendario vaccinale per la vita” hanno ricevuto finanziamenti da Sanofi.

Tabella 1. Finanziamento di Sanofi alle associazioni professionali che nel 2023 hanno sottoscritto il documento sulla necessità di introdurre la profilassi universale con Nirsevimab

Associazione

professionale 2022 2023 Aumento %

Italiana di Pediatria

Società Italiana di Neonatologia

Introduzione Il virus respiratorio sinciziale (VRS) è una causa comune di infezione nei bambini, oltre che negli anziani. Il VRS è molto contagioso: si stima che più del 60% dei bambini siano infettati nel primo anno di vita e quasi tutti entro i 2 anni. La trasmissione avviene attraverso un contatto diretto o indiretto con secrezioni dal naso e dalla gola. I sintomi solitamente iniziano dopo un periodo di incubazione di 4-6 giorni. La maggior parte delle infezioni da VRS

causa malattie lievi, con sintomi simil-influenzali e manifestazioni che coinvolgono le vie aeree superiori: congestione nasale, naso che cola e tosse. Nei neonati e nei bambini più piccoli, generalmente sotto i 6 mesi, il quadro clinico può evolvere in bronchiolite (infiammazione dei bronchi di medio e piccolo calibro). La bronchiolite è comunemente associata con il VRS in circa 7 casi su 10; gli altri 3 casi su 10 di bronchiolite sono causati da altri virus, tra cui: virus del raffreddore, virus influenzali e parainfluenzali, vari tipi di adenovirus.

I dati

In Italia, i ricoveri ospedalieri per bronchiolite sono circa 16.000 all’anno e di questi circa 3000 richiedono la terapia intensiva. Significa che, ogni anno, circa 4 bambini su 100, prevalentemente sotto l’anno di età, sono ricoverati per bronchiolite e di questi, meno del 20%, ovvero meno di 8 bambini su 1000, sono ricoverati in terapia intensiva [Figura 1]. La mortalità per VRS nei bambini è molto bassa. Sono riportate stime di 16 decessi l’anno nei bambini, ma il numero è probabilmente più basso di 10 volte, visto che negli ultimi 20 anni in Italia le cause di morte dei bambini con meno di un anno di età per tutte le malattie infettive (influenza, bronchite e polmonite) sommano a circa 20 bambini all’anno [6]. Si tratta per la maggior parte di neonati e lattanti con malattie croniche o grave prematurità, che sono molto più a rischio di serie complicazioni rispetto ai sani.

Profilassi con anticorpo monoclonale L’Agenzia Europea per i Medicinali, nell’ottobre 2022, e l’Agenzia Italiana del Farmaco, nel gennaio 2023, hanno approvato un nuovo farmaco, Nirsevimab, un anticorpo monoclonale che, somministrato in un’unica dose all’inizio della stagione di maggior circolazione del VRS, può diminuire il rischio di infezione e di ricovero in ospedale e in terapia intensiva. In molti articoli, sia scientifici sia giornalistici, si parla del Nirsevimab come di un vaccino, somministrato con una singola iniezione nella coscia del bambino. Ma non è un vaccino e non produce immunità: si tratta semplicemente di una profilassi farmacologica di durata limitata (5-6 mesi).

Quali sono i vantaggi del farmaco?

Diversi studi scientifici hanno mostrato che la somministrazione di Nirsevimab è associata a una riduzione delle infezioni respiratorie da VRS che richiedono assistenza medica e a una diminuzione dei ricoveri. L’efficacia di un farmaco è di solito espressa in termini di riduzione percentuale del rischio di ammalarsi o di ammalarsi gravemente. Secondo i dati ricavati dagli studi di registrazione del farmaco, il Nirsevimab potrebbe ridurre dell’83% (dal 68% al 92%) i ricoveri in ospedale per bronchiolite non grave e del 76% (dal 33% al 93%) quelli per bronchiolite grave, da terapia intensiva. L’ampia variabilità è dovuta al fatto che i ricoveri in ospedale per bronchiolite sono eventi infrequenti. I risultati degli studi randomizzati e controllati (RCT) sono stati confermati anche da una recente metanalisi di real-world evidence [7].

Un metodo più intuitivo e semplice per stimare la probabilità che un trattamento o un farmaco aiuti una persona è l’NNT (Number Needed to Treat), ovvero il numero di persone da trattare per ottenere un risultato: una persona guarita, una morte evitata, ecc.

La Tabella 2 mostra l’efficacia del farmaco usando l’NNT. I risultati provengono da HARMONIE, il più grande RCT sull’efficacia del Nirsevimab, condotto e pubblicato da Sanofi, la ditta produttrice del farmaco [8]. Come si può vedere, la variabilità dell’NNT aumenta con la rarità dell’evento studiato, per la stessa ragione spiegata sopra.

Tabella 2. Valori di NNT del Nirsevimab derivati dallo studio HARMONIE (8058 bambini)

Esito considerato NNT Sintesi

Ricovero ospedaliero non grave 115 Bisogna somministrare il farmaco profilattico a 115 bambini (da un minimo di 84 a un massimo di 199) per evitare 1 ricovero

Ricovero ospedaliero grave

(in terapia intensiva)

287 Bisogna somministrare il farmaco profilattico a 287 bambini (da un minimo di 171 a un massimo di 1334) per evitare 1 ricovero in terapia intensiva

3. Valori di NNT del Nirsevimab derivati dagli studi MELODY (3012 bambini) e Studio 3 (1453 bambini)

Studio Esito considerato NNT Sintesi

MELODY

Studio 3

Infezioni delle basse vie respiratorie correlate a VRS che hanno richiesto assistenza medica

Ricovero ospedaliero

Infezioni delle basse vie respiratorie correlate a VRS che hanno richiesto assistenza medica

Ricovero ospedaliero

26

99

14

30

Bisogna somministrare il farmaco profilattico a 26 bambini per evitare 1 intervento medico

Bisogna somministrare il farmaco profilattico a 99 bambini per evitare 1 ricovero

Bisogna somministrare il farmaco profilattico a 14 bambini per evitare 1 intervento medico

Bisogna somministrare il farmaco profilattico a 30 bambini per evitare 1 ricovero in ospedale

Figura 1. Ricoveri in ospedale e in terapia intensiva per VRS ogni 100 bambini.
Tabella

La Tabella 3 mostra i valori di NNT derivati da due precedenti studi controllati e randomizzati, con meno bambini, effettuati dalla ditta produttrice per valutare l’efficacia del Nirsevimab nell’evitare un’infezione delle vie respiratorie che ha richiesto assistenza medica e per evitare un ricovero in ospedale. Il primo studio si chiama MELODY [9], il secondo si chiama Studio 3 [10].

La variabilità osservata nei diversi studi rispetto al valore di NNT può dipendere da diversi fattori, tra cui: differenze nella lunghezza del follow-up, periodo specifico di osservazione (stagionalità, circolazione del virus), periodo in cui ai partecipanti è stata fatta la profilassi (durante o al di fuori dalla stagione infettiva).

Quali sono gli svantaggi del farmaco?

Stando a quanto riportato nel Riassunto delle Caratteristiche del Prodotto, la reazione avversa più frequentemente osservata con il Nirsevimab è stata l’eruzione cutanea lieve o moderata (0,7%) che si è manifestata entro 14 giorni dalla somministrazione. Inoltre, sono state segnalate febbre (0,5%) e reazioni al sito di iniezione (0,3%) entro 7 giorni dalla somministrazione. La maggior parte dei casi è stata di intensità da lieve a moderata.

Analogamente all’NNT, l’NNH (Number Needed to Harm), ovvero il numero di persone che bisogna trattare per ottenere un effetto avverso, esprime una misura della probabilità di effetti avversi che si possono indurre con un dato trattamento. La Tabella 4 mostra gli effetti avversi più frequenti che si verificano entro 7-14 giorni dalla somministrazione in termini di NNH.

Tabella 4. Valori di NNH degli eventi avversi più frequenti entro 7-14 giorni dalla somministrazione di Nirsevimab derivati dalla scheda tecnica del farmaco

Esito considerato NNT Sintesi

Eruzione cutanea

Piressia

Reazioni al sito di iniezione (arrossamento, gonfiore e dolore nella sede in cui viene somministrata l’iniezione)

142 Bisogna somministrare il farmaco a 142 bambini per avere 1 caso di eruzione cutanea

200 Bisogna somministrare il farmaco a 200 bambini per avere 1 caso di piressia

333 Bisogna somministrare il farmaco profilattico a 333 bambini per avere 1 caso di reazione al sito di iniezione

La Tabella 5 mostra l’NNH dello studio HARMONIE. In questo grande RCT, tra gli effetti avversi, non sono stati registrati decessi. Ne sono stati registrati invece negli altri studi clinici controllati e randomizzati sul Nirsevimab, condotti principalmente, ma non solo, su neonati prematuri. Ci sono stati 10 decessi nei bambini trattati con Nirsevimab e 4 nei bambini dei gruppi di controllo assegnati a un placebo o a un altro farmaco [11]. Troppo pochi, e forse non associabili al farmaco, per essere significativi dal punto di vista statistico, ma sufficienti per raccomandare un rigoroso sistema di vigilanza. Questo tipo di vigilanza è stato raccomandato dall’Agenzia Europea per i Medicinali quando ha approvato il farmaco nell’ottobre 2022. Al 19 ottobre 2025 sono stati notificati nella banca dati Europea Eudravigilance 914 casi di sospetta reazione avversa associati a nirsevimab, in parte reazioni classificate come severe (431/914, 47%) [12]. Si tratta di sospetti effetti collaterali, vale a dire eventi medici osservati in seguito all’uso di un farmaco, ma che non sono necessariamente correlati o causati dal farmaco.

Tabella 5. Valori di NNH del Nirsevimab derivati dallo studio HARMONIE (8058 bambini)

Esito considerato NNH Sintesi

Effetto avverso di qualsiasi gravità che si considera correlato al farmaco

Effetto avverso che ha determinato una visita medica

Effetto avverso grave che si considera correlato al farmaco

47 Bisogna somministrare il farmaco a 47 bambini (da un minimo di 39 a un massimo di 61) per avere 1 effetto avverso correlato al farmaco

48 Bisogna somministrare il farmaco a 48 bambini (da un minimo di 25 a un massimo di 768) per avere 1 effetto avverso che ha determinato una visita medica

4015 Bisogna somministrare il farmaco profilattico a 4015 bambini per avere 1 effetto avverso grave

L’agenzia del farmaco francese ha prodotto un primo report di farmacovigilanza [13]. Tra l’11 settembre 2023 e il 30 aprile 2024, sono state somministrate 244.495 dosi di Nirsevimab e in questo periodo sono stati segnalati 198 casi di effetti avversi (1 segnalazione ogni 1235 somministrazioni). La stragrande maggioranza dei casi segnalati (148/198, 74,7%) ha riportato una ridotta efficacia o un’inefficacia del farmaco, con comparsa di bronchiolite da VRS, un dato che potrebbe essere spiegato da fenomeni di resistenza e di adattamento del virus [14].

Sono stati identificati tre potenziali segnali su cui concentrare la farmacovigilanza:

• rischio basso, ma grave, di infarto cerebrale, un rischio che però esiste anche nella popolazione generale, compresi i neonati;

• rischio moderato, ma grave, di difficoltà a respirare in neonati prematuri e non, in particolare se presentano anche malformazioni o precedenti cardiaci o polmonari;

• rischio basso, e di intensità moderata, di ipotonia, sindrome influenzale e disturbi digestivi legati, forse, a una forma di reazione immunologica.

Un rapporto aggiornato dei dati di farmacovigilanza in Francia provenienti dalle segnalazioni avverse avvenute nella stagione successiva (tra il 1° maggio 2024 e il 28 febbraio 2025) ha portato i casi segnalati a 240 (di cui 125 reazioni classificate severe) [15]. Come nel rapporto precedente, una grande maggioranza dei casi (138/240, 57,5%) riguarda l’inefficacia del farmaco con comparsa di infezione da VRS.

Sono stati segnalati alcuni casi di disturbi respiratori al di fuori del contesto della bronchiolite; il segnale di un possibile rischio di apnea nei neonati trattati con Nirsevimab osservato in Francia è emerso anche nel sistema di farmacovigilanza europeo, mentre, al contrario, non è stato confermato il rischio di ipotonia e iporeattività e l’assenza di ulteriori casi di ictus nei dati aggiornati indebolisce l’associazione tra questo evento e il farmaco. Due casi di enteropatia e due casi di massa intestinale e sangue nelle feci sono considerati eventi avversi sotto sorveglianza.

Al momento non è stato stabilito un nesso causale tra Nirsevimab e questi effetti, ma serve uno specifico monitoraggio da parte dei centri regionali di farmacovigilanza.

Nella banca dati degli USA che raccoglie le segnalazioni di reazioni avverse, al 24 ottobre 2025 sono stati segnalati 816 casi di sospetta reazione avversa a Nirsevimab, di cui 495 seri inclusi 32 decessi, non necessariamente correlati al, o causati dal, farmaco [16].

A oggi, in Italia, sono stati segnalati 88 casi di sospetta reazione avversa associata a Nirsevimab.

Le segnalazioni sono fondamentali per valutare la sicurezza dei farmaci e garantire un rapporto beneficio/rischio favorevole per la popolazione e contribuire a rendere l’utilizzo dei medicinali sempre più sicuro.

La prevenzione non farmacologica

Oltre ai farmaci, ci sono alcuni comportamenti che si possono adottare per ridurre il rischio di ammalarsi di infezioni respiratorie e diminuire il rischio di trasmettere malattie infettive ai bambini:

• allattare in maniera esclusiva per circa 6 mesi e proseguire con latte materno e adeguati alimenti complementari sino ai due anni e oltre. Il latte materno contiene anticorpi contro numerosi agenti infettivi e riduce il rischio di infezioni gravi da VRS e di ospedalizzazione per bronchiolite;

• lavarsi le mani con acqua e sapone prima di entrare in contatto con neonati e lattanti;

• evitare il contatto di neonati e lattanti con persone che presentano sintomi di infezione;

• mantenere la casa pulita e ben ventilata;

• evitare di fumare in casa o in presenza di neonati e bambini. Questi comportamenti sono utili indipendentemente dalla decisione di aderire alla profilassi con Nirsevimab (anche per i genitori che scelgono di aderire).

Bibliografia

1. Covey J. A meta-analysis of the effects of presenting treatment benefits in different formats. Med Decis Making. 2007 SepOct;27(5):638-654.

2. Lundh A, Lexchin J, Mintzes B, et al. Industry sponsorship and research outcome: systematic review with meta-analysis. Intensive Care Med. 2018 Oct;44(10):1603-1612.

3. Dichiarazioni di trasparenza Sanofi 2022. www.sanofi.com/assets/ countries/italy/docs/social-impact/SANOFI-ITALY-EFPIA-REPORT-2022.pdf

4. Dichiarazioni di trasparenza Sanofi 2023 www.sanofi.com/assets/ countries/italy/docs/social-impact/SANOFI_EFPIA-REPORT_IT_ PUBBLICAZIONE_2023_p.pdf

Commento all’articolo Come spiegare il nirsevimab ai genitori. Una guida per i clinici per comunicare in modo efficace numeri, rischi e benefici

L’articolo dal titolo Come spiegare il Nirsevimab ai genitor. Una guida per i clinici per comunicare in modo efficace numeri, rischi e benefici, a firma di Luca Iaboli e Adriano Cattaneo, è un contributo volto a migliorare la presentazione ai genitori dei benefici e dei rischi dell’uso di Nirsevimab per la profilassi delle infezioni gravi da VRS nei bambini e bambine di età inferiori ai due anni. Nella “premessa” dell’articolo gli autori inoltre invitano i clinici a considerare “l’impatto delle strategie promozionali delle aziende produttrici, che possono orientare l’informazione in senso favorevole ai benefici, riducendo la percezione dei possibili effetti avversi” anche alla luce dei notevoli finanziamenti che nel caso specifico la ditta produttrice ha erogato ad alcune associazioni professionali italiane. Per quanto riguarda il Nirsevimab è da segnalare che ormai i dati

5. Posizione del Board del “Calendario vaccinale per la vita” e della Società Italiana di Neonatologia sul possibile utilizzo di anticorpi monoclonali a lunga emivita per la prevenzione universale delle malattie da Virus Respiratorio Sinciziale nel neonato. https://sip.it/ wp-content/uploads/2023/02/Position-Paper_Anticorpo-monoclonale-per-VRS.pdf

6. https://www.istat.it/comunicato-stampa/la-mortalita-dei-bambini-ieri-e-oggi-in-italia-anni-1887-2011/

7. Sumsuzzman DMd, Wang Z, Langley JM, Moghadas SM. Real-world effectiveness of nirsevimab against respiratory syncytial virus disease in infants: a systematic review and meta-analysis. Lancet Child Adolesc Health. 2025 Jun;9(6):393-403.

8. Drysdale SB, Cathie K, Flamein F, et al. Nirsevimab for Prevention of Hospitalizations Due to RSV in Infants. N Engl J Med. 2023 Dec 28;389(26):2425-2435.

9. Muller WJ, Madhi SA, Nuñez BS, et al. Nirsevimab for Prevention of SRV in Term and Late Preterm Infants. N Engl J Med. 2023 Apr 20;388(16):1533-1534.

10. Griffin MP, Yuan Y, Takas T, et al. Single-Dose Nirsevimab for Prevention of RSV in Preterm Infants. N Engl J Med. 2020 Jul 30;383(5):415-425.

11. Med check volume 10, September 2024. https://medcheckjp.org/ wp-content/uploads/2024/09/Eng-no-30.pdf

12. EudraVigilance – European database of suspected adverse drug reaction reports. https://www.adrreports.eu/en/disclaimer.html.

13. https://ansm.sante.fr/uploads/2024/09/30/2024-06-25-rapport-1enquete-pv-nirsevimab-beyfortus-vfa.pdf

14. Real-World Emergence of Nirsevimab Resistance in RSV-B Breakthrough Infections – Pre-print Lancet September 2025. https://pafpers.ssrn.com/sol3/papers.cfm?abstract_id=5427106

15. Enquête nationale de pharmacovigilance de l’anticorps monoclonal anti-VRS (Nirsevimab). Seduta del 30 giugno 2025. https://ansm. sante.fr/uploads/2025/09/30/20250630-cr-csp-pharmacosurveillance-bon-usage-formation-restreinte-expertise.pdf

16. FDA Adverse Event Reporting System (FAERS). https://www.fda. gov/drugs/fdas-adverse-event-reporting-system-faers/fda-adverseevent-reporting-system-faers-public-dashboard

liaboli@hotmail.com

a nostra disposizione ci indicano in maniera univoca la buona efficacia e sicurezza di questa profilassi passiva.

Le affermazioni riportate dall’articolo sono naturalmente considerazioni degli autori di cui ne assumono la responsabilità però ci danno lo spunto per alcune riflessioni sulla problematica del potenziale conflitto di interessi dei professionisti sanitari nei confronti dell’industria. Ricordo per i lettori più giovani due fatti importanti che mettono in evidenza l’attenzione posta sull’argomento dall’ACP:

a. l’ACP è l’unica associazione culturale pediatrica che già da molti anni si è dotata di un codice etico chiamato “Impegno di autoregolamentazione dei rapporti con l’industria” [1]; b. il motivo principale dell’uscita dei rappresentanti ACP dal Board del “Calendario vaccinale per la vita” è la scarsa attenzione al potenziale conflitto di interessi da parte degli altri componenti (FIMP, SIP, FIMG, SIMG e SItI).

Il fatto che organizzazioni o singoli professionisti abbiano accettato fondi o beneficts da aziende farmaceutiche non significa naturalmente che i giudizi espressi sui farmaci o i prodotti di tali industrie ne siano stati influenzati ma evidenzia una volta di più quanto ancora sia carente o addirittura assente la sensibilità e l’attenzione nei confronti del rischio di conflitti di interesse nei rapporti con l’industria.

Nello specifico della pubblicistica medica dispiace notare che spesso non vengano segnalati dagli autori di articoli scientifici che trattano di farmaci o prodotti medicali i loro potenziali conflitti di interesse nei confronti dell’industria. Proprio in riferimento all’uso del Nirsevimab emblematico appare in un recente studio caso-controllo effettuato presso l’ospedale

Meyer di Firenze quanto riportato dagli autori rispetto ai loro potenziali conflitti di interesse [2]. Nessuno degli autori ne segnala mentre è sufficiente collegarsi al sito della ditta produttrice del Nirsevimab per verificare che ciò non risponde a verità [3]. Nulla di nuovo purtroppo se pensiamo che anche a livello internazionale questa pratica di non segnalare i potenziali conflitti di interesse è molto diffusa. In un lavoro pubblicato nel 2019 [4] sugli autori delle linee guida cardiologiche dell’American Heart Association e American College of Carldiology sono state confrontate le dichiarazioni di conflitto di interesse, fornite dagli esperti delle linee guida, con le dichiarazioni dei pagamenti che le industrie hanno elargito agli stessi esperti, risulta che la concordanza è solo nel 9%, indicando che il meccanismo di dichiarazione non funziona e che gli autori dichiarano molto meno di quello che ricevono. Per concludere prendo a prestito alcune affermazione della nota economista Nerina Dirindin in un articolo sull’argomento [5] la quale invita i professionisti a riconoscere “la pervasività delle condizioni di conflitto di interesse e, al contempo, della diffusa abitudine a ignorarne la presenza e i rischi che ne discendono” e ricorda “il conflitto di interesse non è quindi

Impatto sul territorio dell’immunizzazione con Nirsevimab: i dati prodotti dai pediatri di famiglia SiMPeF della Regione Lombardia

Giovanna Sersale1 , Ines L’Erario1 , Fabiola Dell’Acqua1 , Lorenza Matarazzo1 , Lucia Di Maio1 , Luigi Greco1 , Massimiliano Dozzi1 , Roberto Buzzetti2 , Monica de’ Angelis1

1 Pediatra di famiglia SiMPeF

2 Epidemiologo, Bergamo

Nel corso della stagione invernale 2024-2025 è stata introdotta in Italia l’immunizzazione contro il virus respiratorio sinciziale (VRS) con l’anticorpo monoclonale Nirsevimab. Il sindacato Medici Pediatri di Famiglia SiMPeF ha promosso uno studio osservazionale prospettico per valutare l’efficacia dell’immunizzazione sull’incidenza della bronchiolite. Hanno partecipato allo studio 87 pediatri di famiglia che hanno arruolato un totale di 5078 bambini nati tra il 1° gennaio 2024 e il 1° aprile 2025. Attraverso un’analisi di sopravvivenza (tempo libero da bronchiolite), si è visto che nelle 24 settimane dello studio, la probabilità stimata di sviluppare bronchiolite tra i bambini immunizzati era del 3,7% contro l’11,1% tra i bambini non immunizzati, con un’efficacia del 66,4% (IC 95% 55,4%-74,6%) nei confronti della bronchiolite; del 77,5% (IC 95% 66,0%-86,3%) della bronchiolite da RSV e del 76,1% (IC 95% 59,0%-86,1%) dell’ospedalizzazione da bronchiolite. Lo studio ha dunque confermato l’efficacia, anche in ambito territoriale, dei dati degli studi condotti precedentemente negli ospedali.

During the 2024-2025 winter season, immunization against respiratory syncytial virus (RSV) with the monoclonal antibody nirsevimab was introduced in Italy. The SiMPeF (Italian Family Pediatricians) union promoted a prospective

una sentenza di colpevolezza, ma non deve essere sottovalutato. Ogni professionista deve sapere che quando accetta un invito a cena al termine di una conferenza sponsorizzata aumentano le probabilità di comportamenti di riguardo nei confronti dell’azienda che ha organizzato l’evento (e dei prodotti che commercializza)”.

Bibliografia

1. https://acp.it/assets/media/Impegno-di-autoregolamentazione-approvato-in-assemblea-2014.pdf

2. https://www.sciencedirect.com/science/article/pii/ S0163445325002002?via%3Dihub

3. https://www.sanofi.com/assets/countries/italy/docs/social-impact/ SANOFI-ITALY-EFPIA-REPORT-2022.pdf

4. Dudum R, Sajja A, Amdur RL, Choi BG. Analysis of American College of Cardiology/American Heart Association Guideline author self-disclosure compared with open payments industry disclosure. Circ Cardiovasc Qual Outcomes. 2019 Dec;12(12):e005613.

5. Dirindin N. Come affrontare il conflitto di interesse in sanità? Il Punto. 2022;2:24-26.

farnetimax@gmail.com

observational study to evaluate the effectiveness of immunization on the incidence of bronchiolitis. The study involved 87 family pediatricians, who enrolled a total of 5,078 children born between January 1, 2024, and April 1, 2025. A survival analysis (bronchiolitis-free time) showed that over the 24-week follow-up period, the estimated probability of developing bronchiolitis among immunized children was 3.7% compared with 11.1% among unimmunized children, with an efficacy of 66.4% (95% CI 55.4%–74.6%) against bronchiolitis; 77.5% (95% CI 66.0%–86.3%) against RSV bronchiolitis; and 76.1% (95% CI 59.0%–86.1%) against hospitalization due to bronchiolitis. The study thus confirmed the effectiveness, also in primary care settings, of the findings from previous studies conducted in hospitals.

Introduzione

Le infezioni respiratorie associate al virus respiratorio sinciziale (VRS) rappresentano una delle principali cause di morbilità e mortalità in tutto il mondo e di ricoveri ospedalieri pediatrici nei Paesi ad alto reddito [1-3]. Prima dell’introduzione della profilassi con l’anticorpo monoclonale, si stimava che il VRS fosse responsabile di 33 milioni di casi di malattia grave delle basse vie respiratorie a insorgenza acuta, di 3,6 milioni di ricoveri ospedalieri e di circa 101.000 decessi all’anno tra i bambini di età inferiore ai cinque anni [4,5]. In particolare, la maggior parte dei ricoveri ospedalieri si verificava in bambini altrimenti sani senza altre comorbilità. Manifestazioni cliniche come bronchiolite e polmonite possono essere particolarmente gravi nei neonati, richiedendo spesso il ricovero ospedaliero con cure di supporto, tra cui terapia infusionale, ossigenoterapia e, in alcuni casi, ventilazione meccanica invasiva. Inoltre, i neonati con grave infezione da VRS hanno un rischio maggiore di wheezing ricorrente e asma durante l’infanzia [610]. I dati del progetto RESCEU (Respiratory Syncytial Virus Consortium in Europe) suggeriscono che in Italia il VRS è responsabile di circa 25.000 ricoveri ospedalieri/anno in bambini di età inferiore a 5 anni, rappresentando quasi il 40% di tutti i ricoveri per malattie respiratorie in questa classe di età [11]. Analisi retrospettive di database amministrativi hanno rivelato che circa l’85% dei ricoveri ospedalieri associati al VRS si verifica in bambini nati a termine altrimenti sani, con un’incidenza annuale di 175-195 casi ogni 100.000 bambini

[12]. Oltre alle cure ospedaliere, il VRS impone un notevole onere di gestione ambulatoriale. Una revisione sistematica di sei studi italiani ha riportato tassi di positività al VRS del 1841% tra le infezioni respiratorie pediatriche [13], mentre i dati delle cure primarie hanno identificato migliaia di episodi di bronchiolite e infezioni respiratorie acute minori (LRTI), sebbene il VRS fosse codificato esplicitamente solo in una piccola minoranza [14,15].

Fino a tempi recenti, non esistevano strategie profilattiche efficaci per i neonati altrimenti sani. L’unico intervento disponibile, il Palivizumab, anticorpo monoclonale umanizzato (mAb), era limitato per l’elevato costo e la necessità di somministrazione mensile intramuscolare durante la stagione del VRS, riservandone il suo utilizzo ai neonati ad alto rischio, [22].

L’approvazione del Nirsevimab (Beyfortus) da parte dell’EMA nel 2022 e della FDA nel 2023 ha cambiato radicalmente il panorama della prevenzione in questo ambito. Con un’emivita prolungata, il Nirsevimab fornisce una protezione per tutta la stagione invernale con una singola dose somministrata per via intramuscolare. È importante sottolineare che ha mostrato efficacia in neonati e bambini sani di tutte le età gestazionali, ampliando così la sua popolazione target [23,24].

Obiettivo del nostro studio è stato valutare la ricaduta della campagna di immunizzazione con Nirsevimab nel corso della stagione invernale 2024-2025 sulla frequenza di bronchioliti e di ricoveri per bronchiolite sulla popolazione immunizzata rispetto a quella non immunizzata.

Metodi

Durante la stagione invernale 2024-2025, è stata lanciata una campagna di immunizzazione in Lombardia. Tutti i nati a dal 1° gennaio 2024 avevano diritto a ricevere una singola dose di Nirsevimab: 50 mg se < 5 kg; 100 mg se ≥ 5 kg. A partire dal 7 novembre 2024, l’immunizzazione è stata resa disponibile sia presso i centri vaccinali locali che presso gli ambulatori dei pediatri di famiglia (PDF). I nati dopo il 30 ottobre 2024 potevano essere vaccinati direttamente presso il punto nascita. Il Sindacato Medici Pediatri di Famiglia (SiMPeF) ha promosso fra i propri pediatri associati uno studio osservazionale prospettico sull’efficacia di questa campagna di immunizzazione. I pediatri aderenti erano operanti in diverse province lombarde (Milano, Brescia, Bergamo, Monza-Brianza). Il periodo di osservazione è stato tra il 15 ottobre 2024 e il 30 aprile 2025.

Criteri di inclusione ed esclusione

Sono stati inclusi i neonati iscritti con i pediatri partecipanti, senza condizioni note tali da compromettere lo stato immunitario. Sono stati pertanto applicati i seguenti criteri di esclusione:

• presenza di malattie immunologiche, neurologiche, oncologiche, renali, cardiovascolari o ematologiche, o fibrosi cistica;

• vaccinazione materna contro VRS durante la gravidanza;

• precedente somministrazione di Palivizumab.

Il consenso informato è stato ottenuto dai genitori o tutori legali, previa completa informazione sugli obiettivi e le procedure dello studio.

Raccolta dei dati

Grazie a una piattaforma online, predisposta da SiMPeF, all’arruolamento del paziente ogni PDF ha compilato un modulo anamnestico standardizzato. Il modulo includeva dati demografici, durata in mesi dell’allattamento al seno al momento dell’arruolamento, presenza di fratelli maggiori e frequenza della comunità.

È stata registrata la data di somministrazione di Nirsevimab o la data dell’eventuale rifiuto.

Durante il follow-up, sono stati registrati, con le relative date, tutti i casi di bronchiolite (esito primario) e gli eventuali ricoveri ospedalieri correlati, oltre ad altre infezioni delle vie respiratorie superiori.

La diagnosi di bronchiolite è stata formulata sulla base dei seguenti criteri:

• criterio A: età < 18 mesi, dispnea durante la stagione del VRS e tampone nasale positivo per VRS;

• criterio B: età < 18 mesi, dispnea in progressivo peggioramento durante la stagione del VRS, con segni o sintomi altamente suggestivi per bronchiolite (es. tachipnea, disidratazione, respiro sibilante, crepitii);

• criterio C: età < 18 mesi, dispnea durante la stagione del VRS e ricovero ospedaliero con successiva diagnosi clinica di bronchiolite.

Per ogni episodio di bronchiolite, è stato registrato il tipo di gestione clinica (assistenza domiciliare, ricovero ospedaliero ordinario o in terapia intensiva), oltre a qualsiasi diagnosi eziologica specifica, ove disponibile.

SiMPeF ha fornito ai pediatri partecipanti i tamponi rapidi nasali per Influ A e B, Covid, ADV e RSV. Ciò ha reso possibile rilevare l’eziologia della bronchiolite al fine di raggiungere una maggiore accuratezza diagnostica; in altri casi invece è stato possibile avere una precisa diagnosi tramite PCR, grazie al programma dell’ISS Respivirnet o a seguito di ricovero ospedaliero.

Analisi statistica

L’analisi dei dati è stata condotta utilizzando il software XLSTAT®. Sono state utilizzate statistiche descrittive, tra cui frequenza assoluta e percentuale, per l’analisi delle variabili dicotomiche e categoriali. I confronti tra tali variabili sono stati effettuati utilizzando test statistici appropriati, incluso il test chi-quadrato.

Per i partecipanti con più occorrenze di un endpoint, nell’analisi è stata utilizzata solo la prima occorrenza. L’endpoint primario era la presenza di bronchiolite diagnosticata secondo uno dei criteri precedentemente esposti. La bronchiolite da RSV e l’ospedalizzazione per bronchiolite erano endpoint secondari.

Sono stati calcolati, per ogni mese di calendario e per ogni classe di età in mesi, sia gli eventi (bronchiolite) che le giornate di esposizione al rischio e, per ognuno di questi sottogruppi, il tasso di incidenza, dato dal numero di partecipanti che presentavano l’endpoint di interesse diviso per il tempopersona totale (giorni). In caso di immunizzazione, lo stesso paziente ha contribuito al “gruppo non immunizzati” dall’ingresso nello studio fino al giorno dell’immunizzazione e al “gruppo immunizzati” dall’immunizzazione all’uscita dallo studio (in caso di abbandono o interruzione dello studio).

Standardizzazione diretta

Abbiamo calcolato i tassi standardizzati sia per i non immunizzati sia per gli immunizzati utilizzando il metodo di standardizzazione diretta. Come popolazione standard è stata utilizzata una popolazione fittizia costituita da un numero costante di nascite mensili, in assenza di mortalità e migrazione. I giornipersona (denominatori dei tassi di incidenza) sono stati calcolati per ciascuna classe d’età e per ciascuno dei mesi considerati. A tale scopo, considerando la curva epidemica attesa, basata sugli anni precedenti, i periodi sono stati ricodificati nelle seguenti classi: ottobre + novembre; dicembre; gennaio; febbraio; marzo + aprile. Sono state considerate le seguenti classi d’età: 0-2 mesi; 3-5 mesi; 6-8 mesi; 9 mesi e oltre. L’analisi dell’efficacia di Nirsevimab nella prevenzione della bronchiolite è stata condotta in ognuno dei sottogruppi identificati dai diversi periodi e dalle diverse età al momento della somministrazione.

Tabella 1. Distribuzione delle immunizzazioni per le principali variabili considerate. Valori di p calcolati con test CHI quadrato no imm % imm % tot p value

età gestazionale

Fratelli maggiori

Frequenta comunità

Allattamento materno

fino a 32 2 5,3% 36 94,7% 38 da 33 a 36 23 10,6% 195 89,4% 218 da 37 a 42 497 10,3%

Successivamente sono stati calcolati i rapporti tra i tassi standardizzati e i relativi intervalli di confidenza al 95% per ciascuna delle classi di età considerate e per il totale. L’efficacia % di Nirsevimab nel prevenire l’esito è stata definita come: (1 - rapporto tra i tassi di incidenza) x 100.

Analisi di sopravvivenza

È stata inoltre condotta un’analisi di sopravvivenza, valutando il tempo libero dall’evento (bronchiolite). Solo i soggetti presenti il 15 novembre 2024 sono stati inclusi in questa analisi. Poiché l’epidemia presenta un andamento irregolare, con picchi in determinati mesi, era importante avere 2 coorti di numerosità simile al tempo zero, e che sperimentassero gli stessi periodi di esposizione. I bambini sono stati seguiti, registrando su base settimanale gli eventi, fino al 30 aprile 2025 (fine dello studio) o fino all’uscita dallo studio per altri motivi (abbandono; per il gruppo di soggetti inizialmente non immunizzati, l’immunizzazione).

L’approccio attuariale è stato utilizzato per descrivere le curve di sopravvivenza, separatamente per i soggetti immunizzati e non immunizzati. Le due curve sono state confrontate utilizzando il log-rank test (livello di significatività alfa = 0,05).

Dimensione del campione

Ipotizzando un rischio cumulativo di bronchiolite del 15% nel gruppo non trattato e del 5% nel gruppo trattato (efficacia = riduzione del rischio relativo = 67%), abbiamo calcolato che reclutando bambini con un rapporto trattati/non trattati di 2:1, con alfa = 0,05 e una potenza dell’80%, sarebbero stati sufficienti 228 soggetti immunizzati e 114 non immunizzati (incrementati rispettivamente a 260 e 130, per una possibile perdita al follow-up di circa il 10%). Sarebbero stati sufficienti 20-30 pediatri.

Risultati

Descrizione del campione

Hanno partecipato allo studio 87 pediatri, con un totale di 5078 bambini. Il valore mediano dei bambini reclutati da ogni pediatra era di 54, IQR 37-76; quello dei casi di bronchiolite segnalati da ogni pediatra di 3, IQR 2-6. Il Nirsevimab è stato somministrato a 4566 bambini (89,7%), mentre 522 non hanno ricevuto l’immunizzazione (l’80,3% di questi per rifiuto da parte dei genitori, il 15,9% per mancata disponibilità del farmaco e il 3,8% per la presenza di controindicazioni). Non è stata rilevata alcuna associazione statisticamente significativa tra età gestazionale, presenza di fratelli,

Tabella 2. Frequenza di bronchiolite tra i soggetti immunizzati e non immunizzati nei diversi strati delle principali

e relativi Odds Ratio

frequenza di comunità e allattamento materno e la frequenza di immunizzazione.

I PDF hanno effettuato il 66,7% delle somministrazioni, il 27,6% dei casi sono stati immunizzati presso il punto nascita e il 5,7% al centro vaccinale. La metà circa delle immunizzazioni (48,7%) è stata effettuata nei primi 3 mesi di vita mentre il 51,3% nel primo anno di vita, con soli 9 casi dopo l’anno. La totalità delle immunizzazioni (99,7%) è avvenuta nei mesi da ottobre 2024 a marzo 2025 compresi. Il mese con il maggior numero di somministrazioni è stato novembre, con 2444 (53,6%) bambini immunizzati.

Casi di bronchiolite

I casi di bronchiolite sono stati rispettivamente 179 (15,4%) e 83 (3,9%) tra i non immunizzati e gli immunizzati con un OR = 0,23 (IC 95% 0,17-0,30, vedi Tabella 2).

Fra i 38 neonati prematuri (< 32 settimane) 4 casi di bronchiolite (10,5%) vs 245 casi (5,1%) fra i 4822 pazienti nati a termine; 201 pazienti (7,9%) con almeno un fratello maggiore hanno presentato un quadro di bronchiolite. Tra i 498 bambini che frequentavano la comunità, il 6,4% ha presentato un quadro di bronchiolite. Come si evince dagli OR riportati in Tabella 2 , queste due condizioni sono significativamente associate con l’incidenza di bronchiolite; tuttavia non si comportano da confondenti nell’associazione tra immunizzazione e bronchiolite (analisi qui non mostrata).

Standardizzazione diretta

Il gruppo degli immunizzati ha contribuito con 677.461 giorni-persona, rispetto ai 299.888 giorni-persona del gruppo non immunizzato. Il picco di incidenza della bronchiolite si è verificato a dicembre e gennaio.

La Tabella 3 mostra i tassi di incidenza della bronchiolite (aggiustati per periodo) nelle quattro classi d’età. Il rapporto globale tra tassi di incidenza standardizzati, abbastanza costante nelle diverse età, è pari a 0,410 (IC 95% 0,307-0,548), e l’efficacia stimata dell’immunizzazione è pari al 59% (IC 95% 45,2-69,3%).

Analisi della sopravvivenza

L’analisi del tempo libero dall’evento bronchiolite è stata eseguita a partire dal 15 novembre (vedere la sezione metodi per i dettagli). All’inizio del periodo di studio, c’erano 2422 bambini immunizzati e 1492 bambini non immunizzati. Nelle 24 settimane di studio, la probabilità stimata di sviluppare bronchiolite tra i bambini immunizzati era del 3,7% contro l’11,1% tra i non immunizzati, con un’efficacia del 66,4% (IC 95% 55,4%-74,6%. p<0,001) [Figura 1]. NNT = 14 (IC95% 10-21).

Lo stesso tipo di analisi, applicato agli altri esiti studiati, ha dato i seguenti risultati:

• bronchiolite da RSV: 1,16% negli immunizzati vs 5,15% nei non immunizzati, efficacia del 77,5% (IC 95% 66,0%-86,3%. p<0,001). NNT = 25 (IC95% 17-49).

• ricoveri ospedalieri: 0,99% negli immunizzati vs 4,15% nei non immunizzati, efficacia del 76,1% (IC 95% 59,0%-86,1%. p<0,001). NNT = 32 (IC95% 21-67).

Figura 1. Analisi di sopravvivenza (% di bambini liberi da bronchiolite). Rosso: bambini immunizzati. Blu: non immunizzati. Linee tratteggiate: IC al 95%.

Discussione

Il VRS è un importante agente eziologico delle infezioni acute delle vie respiratorie, con manifestazioni cliniche che vanno dalla malattia autolimitante delle vie respiratorie superiori alla grave malattia delle vie respiratorie inferiori, in particolare la bronchiolite. Il VRS rappresenta un notevole onere economico per i sistemi sanitari [17-20]. I ricoveri ospedalieri rimangono la principale causa di costi medici diretti legati all’infezione da VRS. In Italia, un’analisi dei costi di 310 neonati sani ricoverati per bronchiolite presso l’Ospedale Pediatrico Bambino Gesù di Roma ha stimato una spesa di quasi 1,8 milioni di euro/anno [21]. Tali dati evidenziano il considerevole utilizzo di risorse necessarie per la gestione del VRS anche in popolazioni precedentemente sane, con implicazioni importanti nella pianificazione e la sostenibilità dell’assistenza sanitaria.

Grazie all’impegno e alla campagna di sensibilizzazione promossa da SIMPeF sono stati arruolati nello studio un totale di 5.078 bambini nati tra il 1° gennaio 2024 e il 1° aprile 2025, seguiti da 87 pediatri di famiglia partecipanti allo studio, un numero molto più elevato di quello pianificato operanti in diverse province lombarde.

Questo studio, promosso da SiMPeF, offre una prospettiva dal punto di vista del territorio sull’efficacia dell’immunizzazione da RSV e ha confermato che tale campagna in Lombardia ha avuto importanti effetti nel ridurre drasticamente l’incidenza sia di bronchiolite, sia di infezioni da RSV e di ricoveri ospedalieri. L’uso dei tamponi nasali rapidi pentavalenti, ha per-

Tabella 3. Tassi di incidenza della bronchiolite/10.000 giorni-persona, per classe di età, aggiustati per periodo non immunizzati immunizzati età tassi/10.000 (IC 95%) tassi/10.000 (IC 95%) rapporto tra tassi (IC 95%) efficacia (IC 95%)

messo in molti casi di poter porre una diagnosi certa di infezione da RSV, rafforzando ulteriormente l’importanza della pratica del self help già radicata nella attività quotidiana dei nostri studi.

Va inoltre notato che quasi il 90% dei bambini è stato immunizzato, dimostrando sia un’ottima predisposizione della popolazione nei confronti del programma di immunizzazione, grazie alla fiducia che le famiglie ripongono nei confronti del PDF, sia l’efficacia della programmazione, che ha visto la pediatria ospedaliera e quella del territorio cooperare per raggiungere il maggior numero possibile di pazienti.

Consideriamo un punto di forza di questo studio l’aver condotto l’analisi dei risultati non soltanto con il classico calcolo dei rischi (che non tengono conto della differente durata media del follow- up), come avviene per alcuni degli studi presenti in letteratura, ma anche con tecniche più raffinate come l’analisi standardizzata dei tassi di incidenza e l’analisi di sopravvivenza.

Questa esperienza lombarda, che ha reclutato un altissimo numero di pazienti distribuiti su varie province del territorio, fornisce convincenti evidenze “real-world” a supporto dell’efficacia della immunizzazione universale contro il VRS nel mitigare sostanzialmente l’onere sanitario pediatrico ospedaliero, dell’efficacia nel ridurre l’impegno diagnostico e terapeutico negli ambulatori pediatrici e infine dell’impatto sulla vita famigliare dei piccoli pazienti e sulla prevenzione di future patologie respiratorie, rappresentando un intervento vantaggioso dal punto di vista sia sanitario sia economico. Pertanto, la sua integrazione nei programmi di immunizzazione nazionali è supportata non solo dall’efficacia clinica, ma anche da considerazioni di sostenibilità sanitaria.

Ringraziamenti

Un ringraziamento particolare agli 87 PDF che hanno partecipato allo studio: Agnese Angeli, Ambrogina Pirola, Andrea Delvecchio, Angela Andreoletti, Annalisa Amadori, Annalisa Monolo, Antonella Cavagna, Antonella Giovanniello, Antonino De Martino, Antonio D’Ambrosa, Beatrice Pietrobon, Brigitte Tschumperlin, Bruno Spinelli, Chiara Maria Pedrazzi, Chiara Pezzini, Donata Panzeri, Elena Baggi, Elena Secco, Elena Vavassori, Elena Viganò, Eleonora Vegetti, Elisa Climene Basaglia, Elisabetta Mazzucchi, Elvira Simeone, Emanuela Ballerini, Emanuela Salvetti, Fabiola Dell’Acqua, Federica Nociforo, Flavia De Martino, Franca Boe, Giovanna Sersale, Gisella Agostini, Greta Cremaschini, Greta Cremaschini, Ines L’Erario, Laura Enfissi, Laura Luigia Loguercio, Laura Maria Abbiati, Laura Saleri, Lorenza Matarazzo, Luca Brivio, Lucia Di Maio, Luigi Greco, Luigi Siccardo, Luisa Notari, Manuela Marchini, Maria Cristina Petecca, Maria Daniela Cofano, Maria Gabriella Metta, Maria Margherita Franco, Maria Scarabelli, Maria Siano, Mariaconsolazione Bonaventura, Mariella Monteleone, Marina Irene Camiletti, Marta Teresa Maria Macchi, Marta Travaini, Martina Fomasi, Martina Goffredo, Massimiliano Dozzi, Monica Altobelli, Monica Dè Angelis, Nicoletta Bucci, Oriana Testagrossa, Oriana Testagrossa, Paola Flumine, Paola Lippi, Paola Mangiarotti, Paola Maria Gallia, Patrizia Bardelli, Patrizia Oldani, Patrizia Picco, Piera Maria Tonelli, Riccardo Cazzaniga, Rinaldo Missaglia, Rita Gallé, Rita Viviana Grazioli, Rossana D’Alterio, Silvia Decarlis, Silvia Rapuzzi, Sonia Maria Cantù, Stefania Sideri, Stefania Soardo, Teresa Carapella, Tiziana Fuga, Valentina Decimi, Valeria Valdambrini.

La bibliografia di questo articolo è consultabile online.

robuzze@gmail.com

Premio nazionale Nati per Leggere

Il Premio nazionale Nati per Leggere , alla diciassettesima edizione, ci ricorda quanto importante sia la lettura per il neurosviluppo delle bambine e dei bambini e per lo sviluppo delle competenze dei loro genitori.

Pediatre e pediatri possono raccontare la loro esperienza candidandosi alla sezione Pasquale Causa. Il premio viene assegnato a un/una pediatra che abbia promosso in modo efficace e continuativo la pratica della lettura in famiglia fin dalla più tenera età.

Invitiamo le reti locali NpL a candidare i pediatri e le pediatre che aderiscono a Nati per Leggere, contribuendo anche in questo modo a diffondere e sostenere questa buona pratica nei servizi delle cure primarie. È possibile partecipare alla sezione Pasquale Causa inviando l’apposito modulo compilato entro e non oltre venerdì 30 gennaio 2026 alla Segreteria organizzativa del Premio all’indirizzo premionatiperleggere@circololettori.it, tel. 011 4326837. Il premio dal 2010 a oggi: https://www.natiperleggere.it/premio-nazionale-npl-edizioni-precedenti.html

Lo sviluppo fonetico dai 24 ai 47 mesi in bambini con profilo

tipico

,

1 Ricercatrice indipendente

2 Center for Translational Neurophysiology of Speech and Communication, Istituto Italiano di Tecnologia e Dipartimento di Neuroscienze e Riabilitazione, Università degli Studi di Ferrara

3 CNR, Istituto di Scienze e Tecnologie della Cognizione (ISTC), Padova

Un modo tradizionale per valutare le capacità articolatorie di un bambino è quello di considerare gli aspetti segmentali del linguaggio per individuare i foni consonantici che è in grado di produrre. Il TFPI è un nuovo strumento per valutare lo sviluppo fonetico dei bambini italofoni di età compresa tra 18 e 47 mesi. Lo studio di Zmarich e coll. (2025) ha previsto la somministrazione del TFPI a 52 bambini monolingui di età tra 24-47 mesi con sviluppo tipico. Sono state analizzate le loro prestazioni su un compito di denominazione, nello specifico per ogni bambino sono stati calcolati l’inventario fonetico (IF) e la percentuale di consonanti corrette (PCC). Sia l’IF che la PCC incrementano con l’età, mentre la variabilità intersoggettiva diminuisce progressivamente. Inoltre, è stata studiata l’età di acquisizione di ciascun fono che fornisce nuove informazioni su questo ambito di sviluppo del linguaggio.

A traditional way to assess children’s articulatory skills is to consider the segmental aspects of language to identify the consonantal sounds that they are able to produce. The TFPI is a new tool for assessing the phonetic development of Italian-speaking children aged 18-47 months. Zmarich et al. (2025) administered the TFPI to a group of 52 typically developing monolingual children aged 24-47 months. Their performance on the naming task was analyzed, in particular the Phonetic Inventory (PhI) and the Percentage of Correct Consonants (PCC) were calculated for each child. Both the PhI and the PCC improve with age, while intersubjective variability progressively decreases. Furthermore, the age of the acquisition of each phone was investigated, providing new information about this area of language development.

Introduzione

Un modo tradizionale per valutare le capacità articolatorie di un bambino o di una bambina è quello di considerare gli aspetti segmentali (cioè relativi ai singoli foni) del linguaggio per individuare i foni consonantici che è in grado di produrre. Nella pratica clinica il confronto della produzione segmentale di un bambino con i dati normativi relativi alla sua stessa fascia d’età permette di stabilire la tipicità o meno del suo profilo. La rilevazione dei foni presenti nella produzione linguistica contribuisce alla stesura dell’inventario fonetico (IF) che rappresenta una misura diretta delle abilità fonetiche del bambino,

informandoci su quali foni vengono prodotti frequentemente, quali in modo occasionale e quali siano assenti. Tuttavia, una rilevazione diretta dei suoni che il bambino produce non può essere rappresentativa delle sue reali capacità fonetiche se non è strettamente legata ai principi, ai criteri e ai metodi scelti per la compilazione dell’IF. Primo fra tutti il metodo con cui si ottiene la produzione linguistica: interazione spontanea in un contesto ecologico, denominazione spontanea in un compito semi-strutturato, test standardizzati, ripetizione di parole o non parole. Altri elementi da considerare sono la posizione che il fono occupa nella parola (es. per [d]: in posizione iniziale: /denti/, intervocalica: /coda/ o in gruppo consonantico: /drago/) e la variabilità fonetica nella produzione della stessa parola (es. per sole: /tole/ o /ole/) da parte dello stesso bambino. Inoltre, assumono un peso importante anche i criteri adottati per determinare quando un fono è acquisito o meno, in base al valore percentuale della sua realizzazione nel campione di linguaggio esaminato. La valutazione e la classificazione dei cosiddetti Disturbi Fonetico-Fonologici (DFF), identificabili in letteratura con l’etichetta SSD (Speech Sound Disorders), richiedono l’adozione di strumenti atti a definire e a diagnosticare un’ampia categoria di disturbi del linguaggio che comportano difficoltà nel produrre e/o utilizzare correttamente i suoni del linguaggio quando questi non sono allineati con lo sviluppo tipico. Il significato degli aggettivi fonetico e fonologico riguarda le competenze relative agli aspetti sonori che danno origine al parlato (speech). Tali competenze possono essere collegate a processi fonetici, che riguardano processi senso-motori che intervengono nella percezione, pianificazione e realizzazione di sequenze di gesti articolatori sincronizzati e in larga parte simultanei, oppure a processi fonologici, laddove le operazioni cognitivo-linguistiche riguardano la percezione, la rappresentazione, l’organizzazione, la memorizzazione, la pianificazione e il richiamo delle informazioni legate ai suoni del parlato. L’obiettivo di questo articolo è quello di favorire il dialogo tra pediatra, genitore e clinico, richiamando l’attenzione del pediatra sull’importanza dello sviluppo delle abilità fonetiche dei bambini nel secondo e terzo anno di vita in quanto spesso trascurate in favore di un focus maggiore sulle abilità semantico-lessicali e morfo-sintattiche. La presentazione dei risultati ottenuti dallo studio di Zmarich e coll. [1] con la somministrazione del Test Fonetico per la Prima Infanzia (TFPI) si presta come sostegno a questo approccio.

Lo sviluppo fonetico

I bambini e le bambine iniziano la loro esperienza legata all’uso dei suoni del linguaggio attraverso i primi giochi vocali. Successivamente uno stadio essenziale dello sviluppo fonetico è la lallazione (babbling), che si riferisce alla produzione di una sequenza di sillabe del tipo consonante-vocale. Tali sequenze spesso sono le stesse che si rilevano, intorno al primo anno di vita, nella produzione delle prime parole e questo è indice della continuità fonetica tra le due fasi dello sviluppo. Ciò che le differenzia in modo sostanziale riguarda la componente semantica: infatti mentre le produzioni lessicali sono associate a un referente concreto, le vocalizzazioni nella lallazione sono prive di significato. Alcuni dei fattori che contribuiscono a differenziare le produzioni in base all’età sono la complessità articolatoria e la frequenza d’uso nell’ambiente linguistico di esposizione. Tra i 18 e i 20 mesi, l’incremento lessicale (o esplosione del vocabolario) dà avvio allo sviluppo fonologico che si protrae fino ai 4 anni: in altre parole, il vocabolario espressivo si sviluppa in concomitanza a un marcato cambiamento del sistema fonologico del bambino basato sulle corrispondenze segmentali con le parole adulte secondo le regole della lingua di appartenenza. A 24 mesi, il vocabolario espressivo risulta già abbastanza ampio, comprendendo in media 250-300 parole [2]. Inoltre, cominciano a comparire sistematicamente alcuni

processi di semplificazione lessicale, definiti processi fonologici, consistenti in omissioni, aggiunte, sostituzioni o distorsioni di fonemi, che possono rendere poco comprensibile ciò che il bambino dice. La persistenza di queste alterazioni oltre l’età appropriata può essere percepita come una difficoltà di linguaggio e può mettere in allarme la famiglia, la scuola e il pediatra, soprattutto se vi è uno scollamento marcato con i coetanei. Verso i 4 anni l’inventario fonetico è quasi completo, mentre la fase di stabilizzazione del sistema fonologico prosegue fino agli 8 anni. Altro discorso è quello che riguarda l’evoluzione delle capacità co-articolatorie, che raggiungono l’organizzazione temporale e sinergica tipica dell’adulto solo in età post-adolescenziale [3], ma questi aspetti per essere analizzati richiedono metodiche di tipo acustico e/o cinematico, e ricadono al di fuori delle finalità di un test fonetico.

Analizzare il parlato in età prescolare La discrepanza tra ciò che un bambino intende dire e ciò che effettivamente dice può comportare una compromissione clinicamente significativa, come nel caso dei DFF, o una produzione non standard rispetto ai suoni della lingua a cui è esposto. Con la locuzione “intelligibilità dell’eloquio” ci si riferisce all’aspetto fono-articolatorio che determina una produzione verbale a cui è possibile assegnare un significato. Una scarsa intelligibilità deve richiamare l’attenzione su un possibile problema nel parlato che si distingue da altre problematiche basate invece sulla voce, come per esempio le disfonie, oppure sul linguaggio, come per esempio gli errori grammaticali. L’analisi fonetico-fonologica del linguaggio di un bambino in età prescolare può essere di due tipi:

1. Indipendente, cioè basata sulle produzioni effettive del bambino, senza procedere a un confronto con le parole adulte. Questa analisi contribuisce a fornire l’inventario fonetico, classificando i foni per luogo, modo di articolazione e sonorità come espressi nella Tabella 1

2. Relazionale, in cui ogni produzione lessicale è messa a confronto con il modello adulto per quantificare e classificare gli errori [4]. Si ottengono così almeno due misure: a) la Percentuale di Consonanti Corrette (PCC), che esprime un indice complessivo del livello di competenza linguistica raggiunta dal bambino e correla fortemente con l’intelligibilità dell’eloquio [5,6] e b) il tipo di errore.

Valutare il palato

In letteratura vengono descritti diversi strumenti per ottenere un campione linguistico finalizzato all’analisi fonetica. Quelli più usati, detti test fonetici o anche test di articolazione, pre-

vedono un compito di denominazione spontanea elicitata su presentazione di un’immagine (chi è/cos’è questo?). Il Test Fonetico per la Prima Infanzia [1,7] rappresenta uno strumento innovativo per la valutazione dello sviluppo fonetico nei bambini italofoni tra i 18 e i 47 mesi. Il compito richiesto è quello di denominare l’immagine fotografica che compare sullo schermo di un computer. Nel caso in cui non si ottenga alcuna produzione verbale, vengono forniti al bambino suggerimenti semantici (es. per “giraffa”: è un animale con il collo lungo lungo), ma se il bambino continua a non denominare, si passa all’item successivo. Il test prevede anche una prova di ripetizione in una fase successiva alla prova di denominazione: questa scelta vuole evitare l’offerta preliminare di un modello che potrebbe sovrastimare la competenza fonologica, evitando gli effetti di facilitazione dovuti alle informazioni visive (date dall’osservazione dei movimenti delle labbra) integrate alle informazioni acustiche. Il TFPI è composto da 88 unità lessicali appartenenti a diverse categorie semantiche (es.: oggetti della casa, animali...). La scelta degli item si è basata su tre criteri:

1. Fonetico: ogni fonema consonantico compare in almeno due parole per i bambini tra 18-23 mesi e in almeno tre per i bambini tra 24-47 mesi, sia in posizione iniziale che intervocalica, per quanto consentito dalla fonotattica dell’italiano;

2. Semantico/frequenziale: ogni item è un sostantivo concreto. Le parole scelte sono molto frequenti nella lingua italiana e appartengono alle prime fasi di sviluppo lessicale [2,8];

3. Complessità fonetica gradualmente crescente per numero e tipi di sillabe e tipo di fono.

Gli item per i bambini di età tra 18-23 mesi appartengono ad un sottoinsieme dell’elenco riservato ai bambini tra 24-47 mesi e hanno struttura bisillabica (CVCV, es.: “mano”) con consonanti che secondo la letteratura sono acquisite precocemente [9]. L’altro insieme è costituito dalle parole foneticamente più complesse, cioè quelle con struttura polisillabica (es.: “asciugamano”) o contenenti gruppi di consonanti (es.: “strada”). Per questo motivo le strutture difficili si trovano maggiormente nelle parole brevi (es. “strega”) e le parole più lunghe tendono a presentare una sequenza di foni piuttosto lineare (es.: “tavolo”), con foni che la letteratura valuta come acquisiti per primi. La somministrazione del TFPI prevede l’audio-registrazione della produzione del bambino e la successiva trascrizione fonetica per rappresentare ogni fono prodotto utilizzando l’Alfabeto Fonetico Internazionale (IPA) illustrato nella tabella 1. Il passo successivo è dato dalla selezione delle produzioni che rispondono al criterio della somiglianza fonetica con la forma adulta (es. per “cane”: l’espressione /ane/ è ammessa mentre /bau/ no) [10]. Ai fini della stesura dell’IF in-

Tabella 1. Fonemi consonantici dell’italiano espressi in simboli IPA

Modo di articolazione

Luogo di articolazione

Bilabiali Labio-dentali Dentali Alveolari Post-alveolari Palatali Velari Labio-velari

Occlusive p, b t, d k, g

Affricate ʦ , ʣ ʧ , ʤ

Nasali m n ɲ

Vibrante r

Fricative f, v s, z ʃ

Approssimanti j w

Laterali-approssimanti l ʎ

La disposizione dei simboli nelle celle indica la loro sonorità, infatti quelli a sinistra sono sordi mentre quelli a destra sono sonori: a differenza dei primi, i secondi sono prodotti con la vibrazione delle corde vocali. Le celle contenenti un solo simbolo mostrano i suoni sprovvisti di una controparte sorda.

Legenda: [k] grafema <ch, qu>, es. [k]ane, [k]uadro; [g] grafema <gh>, es. [g]allo; [ʦ] e [ʣ] grafema <z>, es. cal[ʦ]a e [ʣ]olfo; [ʧ ] grafema <ci, ce>, es. [ʧ ]elo; [ʤ ] grafema <gi, ge>, es. [ʤ ]emma; [ ɲ] grafema <gn>, es. [ ɲ]omo; [s] e [z] grafema <s>, es. [s]ale e ro[z]a; [ ʃ ] grafema <sc>, [ ʃ ]elta; [j] grafema <i>, es. [j]ato; [w] grafema <u>, es. [w]ovo; [ʎ ] grafema <gl>, es. ta[ʎʎ ]are.

Nota: la pronuncia di uno stesso fonema consonantico in posizione iniziale e intervocalica di parola può variare nel tratto sordo/sonoro a seconda della provenienza geografica (Italia settentrionale o meridionale) e questo vale per le dentali [ʦ]-[ʣ] e [s]-[z].

dividuale, gli autori del test hanno stabilito i valori soglia che considerano “assente” il fono che ricorre con una frequenza inferiore al 50%; “attestato” con una frequenza tra il 50% e il 74% e “consolidato” con una frequenza tra il 75% e il 100%.

L’applicazione del TFPI in ambito di ricerca

Lo studio di Zmarich e coll. [1] ha messo in evidenza i primi risultati dell’applicazione del test su un gruppo di 52 bambini (30 M e 22 F), provenienti da scuole dell’infanzia in Veneto ed Emilia-Romagna, di età compresa tra 24-47 mesi e con sviluppo tipico. I criteri di selezione hanno riguardato l’assenza di disturbi uditivi, neurologici, socio-emozionali e ritardo psicomotorio come riportato nella scheda dei bilanci di salute del pediatra. La rilevazione dello sviluppo del vocabolario espressivo, condotta con la scheda completa “Parole e Frasi” del questionario PVB (Il Primo Vocabolario del Bambino) [2], ha permesso di includere nello studio i bambini con uno sviluppo del vocabolario tipico, cioè > al 10° percentile [11]. I bambini sono stati divisi in quattro fasce di età: 24-29 mesi, 30-35 mesi, 3641 mesi e 42-47 mesi. Con l’aiuto di Phon [12] , un software per la codifica e l’analisi automatica dei dati di natura segmentale, sono stati compilati gli IF individuali per ottenere l’insieme di foni prodotti da tutti i bambini.

Tabella 2. Inventari fonetici suddivisi per fasce di età (mesi) e distinti in base al livello di apprendimento [da 1, mod.] 24-29 30-35 36-41 42-47

p b t d k g

La Tabella 2 esprime l’età di acquisizione di ogni singolo fono secondo i criteri di Dodd e coll. [13]:

1. età di attestazione quando un fono è presente in almeno il 50% del campione; 2. età di acquisizione quando è presente in almeno il 75%; 3. età in cui il fono è consolidato se presente in almeno il 90%. I risultati rivelano che il numero medio di foni aumenta parallelamente all’età, mentre la variabilità intersoggettiva diminuisce. Nelle prime due fasce d’età (24-29, 30-35 mesi) le occlusive orali [p, b, t, d, k], la fricativa labiodentale [f], le nasali [m, n], le approssimanti [j, w] e la laterale [l] risultano consolidate e si mantengono tali nelle fasce successive. Dai 36 ai 47 mesi risultano consolidati anche i foni [v, s, ɲ]. Le consonanti più complesse come la fricativa postalveolare [ ʃ ] e le affricate [ʣ, ʦ, ʤ, ʧ ] nelle fasce indagate non risultano consolidate, ma solo attestate o acquisite. I foni [ʎ, r] sono assenti, non compaiono negli inventari di questo studio. L’assenza di [r], che è una delle consonanti più frequenti in italiano [8], va interpretata considerando che l’acquisizione di un fono non è solo un riflesso dell’input ambientale, ma è legata alla complessità articolatoria del fono stesso. Un’analisi attenta dei dati ha messo in evidenza la presenza di forme semplificate di [r], non considerate come errori. Un esempio è dato dall’approssimante [ɹ], monovibrante, che è la prima forma a essere utilizzata al posto della polivibrante [r]: l’attestazione di [ɹ] si colloca già a 30-35 mesi per diventare acquisita intorno ai 42-47 mesi.

La Figura 1 riporta i valori della PCC che esprime la percentuale di consonanti corrette sul numero totale di consonanti presenti nella parola target, non considerando le consonanti aggiunte dal bambino. Come si può osservare, la PCC aumenta in modo significativo con l’età mentre la variabilità intersoggettiva si riduce progressivamente a favore di una maggiore accuratezza. Questo conferma quanto si riscontra in studi interlinguistici [14] e rappresenta un contributo innovativo in mancanza di studi italiani di riferimento. Le diverse analisi di tipo correlazionale sono risultate tutte significative: lo sviluppo fonetico (indicizzato tramite il numero di consonanti acquisite nell’IF) e lo sviluppo lessicale (indicizzato tramite il numero di parole pro-

Figura 1. Percentuale delle Consonanti Corrette calcolata per ciascuna fascia d’età [da 1].

dotte rilevate con il PVB) sono in stretta relazione. Altre correlazioni significative come quella tra IF e PCC confermano la loro affidabilità come misure dello sviluppo fonetico-fonologico.

Conclusioni

Sebbene lo studio di Zmarich e coll. [1] presenti dei limiti per esiguità del campione e bilanciamento geografico, i risultati sono indicativi dell’importanza di fornire una descrizione sistematica degli inventari fonetici dei bambini, al fine di ottenere un quadro completo delle fasi dello sviluppo fonetico dai 24 ai 47 mesi. Inoltre, si è visto che per valutare la maturità e l’intelligibilità delle produzioni dei bambini bisogna necessariamente far riferimento ai dati sull’età di acquisizione e sui livelli di accuratezza nella produzione delle consonanti. Questi risultati si prestano a un confronto con quanto riscontrato in altri studi italiani ma con una certa cautela dovuta alla diversa distribuzione per fasce di età, ai criteri scelti per attestare un fono e alla tipologia dello strumento utilizzato. Il pediatra è un osservatore privilegiato del bambino durante i bilanci di salute; ricordando che vi è una forte correlazione tra IF, accuratezza del parlato e sviluppo lessicale (come emerso dallo studio di Zmarich e coll.), può intercettare delle fragilità nello sviluppo linguistico e nel parlato e segnalarle al genitore per la richiesta di un parere logopedico al fine di garantire al bambino un’eventuale presa in carico precoce e personalizzata.

Bibliografia

1. Zmarich C, Bonichini S, Motterle M, et al. Test Fonetico per la Prima Infanzia (TFPI): A New Instrument to Assess Italian Toddlers’ Phonetic Development. Languages. 2025;10:1-15.

2. Caselli MC, Bello A, Rinaldi P, et al. Il primo vocabolario del bambino: Gesti, parole e frasi. Valori di riferimento fra 8 e 36 mesi delle forme complete e delle forme brevi del questionario MacArthur-Bates CDI. Franco Angeli, 2015.

3. Goffman L. Effects of language on motor processes in development. The handbook of speech production. 2015:555-577.

4. Stoel-Gammon C. Evaluation of phonological skills in preschool children. Seminars in Speech and Language. 1988;9:15-25.

5. Shriberg LD, Kwiatkowski J. Phonological disorders III: A procedure for assessing severity of involvement. J Speech Hear Disord. 1982 Aug;47(3):256-270.

6. Lagerberg TB, Asberg J, Hartelius L, Persson C. Assessment of intelligibility using children’s spontaneous speech: Methodological aspects. Int J Lang Commun Disord. 2014 Mar-Apr;49(2):228-239.

7. Palmieri M, Bonichini S, Bonifacio S, et al. Test Fonetico per la Prima Infanzia: Results of the latest contribution to the validation of the instrument to assess italian toddlers’ phonetic development. Giornate CLASTA, 19-20 maggio 2023, Università di Pescara.

8. Goslin J, Galluzzi C, Romani C. PhonItalia: A phonological lexicon for Italian. Behav Res Methods. 2014 Sep;46(3):872-886.

9. Zmarich C, Bonifacio S. Phonetic inventories in Italian children aged 18-27 months: a longitudinal study. Interspeech, 2005:757760.

10. Vihman MM, McCune L. When is a word a word? J Child Lang. 1994;21:517-542.

11. Desmarais C, Sylvestre A, Meyer F, et al. Systematic review of the literature on characteristics of late-talking toddlers. Int J Lang Commun Disord. 2008 Jul-Aug;43(4):361-389.

12. Rose Y. Using Phon to analyze phonological and speech data: An overview. Child bilingualism and second language learning: Multidisciplinary perspectives. 2020;10:249-274.

13. Dodd B, Holm A, Hua Z, Crosbie S. Phonological development: A normative study of British English-speaking children. Clin Linguist Phon. 2003 Dec;17(8):617-643.

14. McLeod S, Crowe K. Children’s consonant acquisition in 27 languages: A cross-linguistic review. Am J Speech Lang Pathol. 2018 Nov 21;27(4):1546-1571.

serena.bonifacio@gmail.com

Arcuccio e sicurezza del sonno infantile

Evoluzione storica e raccomandazioni

contemporanee

Giancarlo Cerasoli1 , Nicolò Nicoli Aldini2 , Sara Patuzzo Manzati3

1 Scuola di Storia della Medicina, Ordine dei Medici Chirurghi e Odontoiatri di Rimini

2 Dipartimento di Scienze chirurgiche, Odontostomatologiche e Materno-infantili, Università degli Studi di Verona

3 Dipartimento di Scienze chirurgiche, Odontostomatologiche e Materno-infantili, Università degli Studi di Verona

Storicamente, il sonno condiviso tra neonati e genitori era una pratica largamente diffusa, che comportava un elevato rischio di soffocamento, schiacciamento o altre lesioni, in particolare nei bambini fasciati e incapaci di muoversi autonomamente. Nel corso dei secoli, si sono sviluppate strategie per mitigare tali rischi, imponendo progressivamente il ricorso a culle o ad altri dispositivi finalizzati a garantire un sonno più sicuro. Tali prescrizioni sono state reiterate in una varietà di contesti: proclami di predicatori, penitenziali e sinodi, manuali rivolti a madri e medici, nonché normative giuridiche. Questo saggio analizza la storia del soffocamento infantile e delle misure preventive attraverso fonti eterogenee, includendo raccomandazioni mediche contenute in trattati storici e regolamentazioni specifiche emanate in Europa dal Medioevo al XX secolo. Particolare attenzione è dedicata all’arcuccio, dispositivo utilizzato in Toscana fin dal Rinascimento per proteggere i neonati posti nel letto delle nutrici, e al tentativo di diffonderne l’uso nel contesto europeo. Infine, il lavoro esamina criticamente le più recenti linee guida di società scientifiche europee e internazionali, che, nel tentativo di ridurre l’incidenza della sindrome della morte improvvisa in culla (SIDS), forniscono indicazioni dettagliate sulla sicurezza del sonno e sulla condivisione del letto tra genitori e lattanti.

Historically, bed-sharing between infants and their parents was a widespread practice, which entailed a high risk of suffocation, crushing, or other injuries, particularly for swaddled infants unable to move independently. Over the centuries, strategies were developed to mitigate these risks, progressively promoting the use of cradles or other devices designed to ensure safer sleep. Such recommendations were reiterated across diverse contexts, including proclamations by preachers, penitentials and synods, manuals directed at mothers and physicians, as well as legal regulations. This paper examines the history of infant suffocation and preventive measures through heterogeneous sources, encompassing medical recommendations recorded in historical treatises and specific regulations enacted in Europe from the Middle Ages to the twentieth century. Particular attention is given to the arcuccio, a device used in Tuscany since the Renaissance to protect infants placed in the beds of wet nurses, and to efforts to disseminate its use across Europe. Finally, the study critically analyzes contemporary guidelines issued by European and

international scientific societies, which, in an effort to reduce the incidence of sudden infant death syndrome (SIDS), provide detailed recommendations regarding safe sleep practices and the sharing of sleep surfaces between parents and infants.

Parte prima. Condivisione del letto con il bambino. Divieti e deroghe

1. Sonno condiviso e sicurezza infantile. Rischi, determinanti culturali e pratiche storiche

Uno degli incidenti domestici più frequenti ancora oggi è la caduta di un bambino dal letto dei genitori. Dormire in un ambiente non sicuro, condividendo il letto con altre persone e senza adeguata sorveglianza, espone il bambino a rischi gravi, quali soffocamento, schiacciamento, strangolamento e ferimenti. Storicamente, e ancora oggi in contesti di disagio socioeconomico, condividere il letto con i figli piccoli rappresenta spesso una necessità. Ciò si verifica soprattutto quando non è possibile riscaldare adeguatamente il bambino durante l’inverno, quando mancano le risorse per acquistare coperte o una culla sicura, oppure quando non esiste uno spazio separato per il sonno del bambino [1]. In tali condizioni far dormire il bambino nello stesso letto degli adulti diventa spesso inevitabile, e a questa necessità si aggiungono ulteriori motivi di natura culturale, pratica e psicologica. Per alcune famiglie si tratta di seguire tradizioni consolidate, orientandosi sull’esperienza delle persone vicine che “hanno sempre fatto così”. Per altri prevalgono ragioni pratiche: condividere il letto facilita l’allattamento al seno, consente di riscaldare il bambino e di tenerlo vicino, riducendo il senso di colpa derivante dall’allontanamento, sentimento particolarmente marcato nei genitori che lavorano molte ore al giorno o in quelli soli. La vicinanza immediata permette inoltre di consolare il piccolo in caso di pianto, di sorvegliarlo per prevenire incidenti e di prendersi cura di lui se si ammala. In alcune culture, mantenere i bambini vicino alla madre ha anche una funzione protettiva nei confronti di pratiche magiche o malefici [2]. Alcune madri di origine africana ritengono tuttora che il soffocamento del bambino sia una fatalità determinata esclusivamente dalla volontà divina; in tali contesti, le misure preventive sono considerate inefficaci e si privilegia la vicinanza al bambino come forma di protezione [3]. Infine, alcuni genitori sfruttano il sonno condiviso anche per motivi legati alla pianificazione famigliare, poiché riduce il contatto fisico tra i partner, favorendo il prolungamento dell’allattamento al seno e contribuendo al distanziamento delle gravidanze.

2. Soffocamento infantile. Testimonianze storiche, regole religiose e norme giuridiche

Scoprire il proprio bambino soffocato nella culla rappresenta un’esperienza drammatica che ha afflitto i genitori sin dagli albori della storia umana. Un esempio emblematico di tale tragedia è riportato nel Libro dei Re dell’Antico Testamento (I, vv. 16-29), in cui il saggio re Salomone deve stabilire l’appartenenza di un neonato conteso tra due donne che avevano partorito da pochi giorni e convivevano nella stessa abitazione. Una delle donne accusava l’altra di aver provocato la mor-

Figura 1. Cecco di Naro e altri, Storia del giudizio di Salomone, soffitto ligneo della Sala Magna dello Steri a Palermo, 1377-1380. La madre del bimbo ancora vivo è vestita di bianco, lo stesso colore delle fasce del suo neonato che tiene vicino a sé nel letto. Cerca di fermare la guardia che sta uccidendo il figlio mentre la falsa madre, vestita di rosso, lo tiene per una gamba.

te del proprio figlio “coricandosi su di lui” durante il sonno, scambiandolo poi con il proprio. Salomone ordina di dividere il bambino vivo in due metà, e solo a quel punto la madre biologica implora di risparmiarlo, mentre l’altra richiede la sua uccisione [4]. Questo racconto testimonia quanto il rischio di soffocamento fosse conosciuto e temuto anche in epoche antiche.

Fonti successive, come cronache cittadine, diari famigliari, resoconti giudiziari e richieste di grazia per bambini sopravvissuti o per ridurre la pena degli infanticidi, confermano che tali eventi erano relativamente frequenti [5]. Alcuni storici suggeriscono che una parte di queste morti non fosse casuale, ma derivasse da veri e propri infanticidi, attuati per liberare le madri dall’onere di nutrire e accudire figli considerati deboli, malati, illegittimi o nati con deformità, destinati altrimenti all’abbandono o all’esposizione [6].

Il soffocamento dei bambini tenuti nel letto dei genitori, inizialmente interpretato come peccato dalla religione, fu progressivamente riconosciuto come infanticidio e quindi punibile per legge. Diodoro Siculo (vissuto tra l’80 e il 20 a.C.) riporta che in Egitto i genitori ritenuti responsabili dovevano tenere il corpo del figlio morto tra le braccia per tre giorni e tre notti, sotto la sorveglianza di un guardiano. Analogamente, nel diritto romano, quando il soffocamento era classificato come infanticidio, si applicavano norme già stabilite dalla Constitutio di Costantino, distinguendo i diversi gradi di colpa e la presenza del dolo [7].

Nel contesto religioso, la Chiesa cattolica considerava il soffocamento nel letto dei genitori un omicidio e un peccato grave, soprattutto se la vittima non era ancora battezzata. Nei Penitenziali, come quello di San Colombano (VIII secolo d.C.), la pena prevedeva tre anni di penitenza, di cui uno a pane e acqua; Burcardo di Worms (circa 965-1025) stabiliva quaranta giorni di digiuno a pane e acqua quando la causa della morte fosse incerta, e tre anni di digiuno nei casi di negligenza accertata [8]. Per prevenire tali eventi, molti statuti sinodali imposero il divieto di far dormire nel letto dei genitori bambini di età inferiore a un anno, prevedendo pene severe per i trasgres-

sori, che potevano includere restrizioni alimentari, ammende, atti di penitenza pubblica o, nei casi più gravi, la scomunica [9]. In epoca medievale, analoghe disposizioni furono inserite negli statuti comunali, come quelli di Perugia del XIII secolo. Anche nei contesti protestanti furono introdotte norme simili. In Svezia, il soffocamento dei bambini durante il sonno era considerato reato già dal XIII secolo [10], mentre nel 1632 il Bills of Mortality for the City of London prevedeva pene per le nutrici responsabili di tali decessi [11]. Nel 1794, la legge generale degli stati prussiani proibiva alle madri e alle balie di tenere bambini di età inferiore ai due anni nei loro letti, con pene che variavano dal carcere alla punizione corporale, a seconda delle circostanze; analoghi avvertimenti furono pubblicati in Austria durante lo stesso secolo [12].

Questa successione di fonti e norme giuridiche e religiose testimonia non solo la frequenza storica dei decessi per soffocamento infantile, ma anche la progressiva evoluzione della percezione culturale, legale e morale di tali eventi, che passarono dalla semplice fatalità o peccato a reati punibili e soggetti a sanzioni severe.

3. Isolamento dei neonati e sicurezza del sonno. Evoluzione delle pratiche di puericultura dal Medioevo al XX secolo Contro l’abitudine di far dormire i neonati e i lattanti nello stesso letto degli adulti si levarono nel tempo numerose voci, e gli appelli in tal senso risultarono tanto più reiterati quanto più spesso venivano disattesi. Medici, pedagogisti, moralisti, predicatori, giuristi e autori di testi destinati al grande pubblico insistevano sull’importanza di far coricare i bambini, fin dai primi giorni dopo il parto, in una culla posta vicino al letto della nutrice, al fine di prevenire soffocamenti, schiacciamenti o ferimenti durante il sonno. Un’analisi di un ampio corpus di testi ostetrici e pediatrici, prodotti dal Medioevo al XIX secolo, mostra come tale indicazione sia stata ripetuta con costanza attraverso i secoli e in diversi Paesi europei. Le fonti più antiche comprendono i testi di Sorano da Efeso (Gynaecia, II secolo d.C.), mentre prescrizioni analoghe si ritrovano, in ordine cronologico, in Aldobrandino da Siena (Régime du Corps, 1256), Francesco da Barberino (Reggimento e costumi di donna, inizio XIV secolo), Girolamo Mercuriale (Nomothelasmus, 1522), Ognibene Ferrari (De arte medica infantium, 1577), Eucharius Rösslin (Libro nel qual si tratta del parto de l’huomo e de tutte le cose

Figura 2. Anonimo, Una madre distesa a letto riceve il neonato dalle mani della levatrice per avviarlo all’ allattamento, in Guido Bonatti di Forlì per Enrico VII, Liber introductorum ad iudicium stellarum, British Library, Londra, XIII secolo.
Figura 3. Anonimo, Il sonno della sacra famiglia , Ms. Francais 9561, f. 139v, Paris Bibliothèque Nationale, 1301-1400, in Chiara Frugoni, Vivere nel Medioevo, il Mulino, 2017, fig. 40, p. 73. La Madonna allatta il Bambino mentre, nello stesso giaciglio, Giuseppe riposa in senso opposto, secondo l’uso post partum volto a evitare l’insorgere di desideri.

che cerca esso parto accadeno, 1583), Scevola di Santa Marta (Paedotrophiae, 1595), Jacopo Tronconi (De custodienda puerorum sanitate, 1593), Mercurio Scipione (La commare o raccoglitrice, 1596; Degli errori popolari d’Italia, 1603). Nei secoli XVII e XVIII, l’indicazione di tenere il neonato in una culla separata dai genitori fu ribadita da numerosi autori, tra cui Charles Guillemeau (De la grossesse et accouchement des femmes, 1620), James Primerose (De morbis puerorum, 1659), Francoise Mauriceau (Trattato delle malattie delle donne gravide e delle infantate, 1684), Jacques Ballexserd (Dissertazione sull’educazione fisica de’ fanciulli, 1763), Nils Rosen de Rosenstein (Trattato delle malattie dei bambini, 1780), Je1an Louis De Fourcroy (I fanciulli allevati secondo l’ordine della natura, 1782), William Buchan (Medicina domestica, 1785), Maria Ferretti (Memoria per servire alla fisica educazione de’ bambini, 1789), Jacopo Sacchi (Sul regolamento delle donne…, 1792), Michael Underwood (Trattato delle malattie de’ fanciulli, 1794).

Nel XIX secolo, autori come Alexander Hamilton (Trattato delle malattie delle donne e dei bambini, 1802), Alphonse Louis Vincent Leroy (Médecine maternelle ou l’art d’elever et de conserver les enfants, 1803), Domenico Antonio Mandini (L’infanzia, 1805), Giuseppe Vogli (Istruzione alle donne per l’educazione fisica e morale de’ figli, 1813), Claude Martin Gardien (Trattato del governo e delle malattie de’ bambini e de’ fanciulli, 1823), Théodore Léger (Avvertimenti alle giovani madri italiane, 1827), Emile Carault (La guida delle madri che vogliono allattare, 1828), Serafino Belli (Istruzione per le madri di famiglia sul governo dei bambini, 1840), Aurelio Finizio (I doveri della levatrice, 1853), Andrea Pasquali (Igiene dell’infanzia, 1854), Eugéne Bouchut (Traitè pratique des maladies des nouveaux nés et des enfants a la mamelle, 1855), Vincenzo Balocchi (Manuale completo di ostetricia, 1859), Alfred Vogel (Trattato delle malattie dei bambini, 1871), Felice Dell’Acqua (Mamma e Bambino, 1876), Cesare Musatti (Occhio ai bambini!, 1876), Crescenzo Pavone (L’allevamento del bambino, 1891), Francesco Lamanna (Igiene della prima e seconda infanzia, 1883), Giuseppe Fabbrovich (Igiene dei bambini, 1893), Anacleto Ghione (Igiene delle età, 1898), Julies Comby (Traité des maladies de l’enfance, 1899), ribadirono la stessa raccomandazione.

Nella prima metà del XX secolo, pediatri italiani e francesi come Germano Guidi (Igiene del bambino, 1901), Giuseppe Cerutti (Ai nostri bambini, 1905), Victor Hutinel (Les maladies des enfants, 1909), Francesco Valagussa (Il bambino, 1910), Giovanni Battista Allaria (Nozioni di Puericultura e di Terapia Pediatrica, 1931), Pierre Nobécourt (Conseils pratiques d’hygiène infantile, 1914), Pierre Lereboullet (Manuel de Puériculture, 1932), Maria Minghini (Come si cura il neonato, 1932), Giovanni De Toni (Puericultura, 1939), Angiola Borrino (Puericultura e assistenza sanitaria dell’infanzia, 1937), Renato Pacchioli, Libero Martoni e Manlio Orlandelli (Manuale di Puericultura, 1955) continuarono a sottolineare l’importanza di collocare i bambini in culle separate dai letti degli adulti. Le cause addotte dagli autori per giustificare questa pratica vanno oltre il rischio di soffocamento o schiacciamento, costantemente evocato nel tempo. A partire dall’inizio del XIX secolo, si diffuse l’idea che i vapori prodotti dalla traspirazione degli adulti, in particolare dei più anziani, potessero nuocere ai bambini. Nella seconda metà del secolo, tali preoccupazioni trovarono conferma nelle prime scoperte chimiche, che evidenziavano come una respirazione efficace richieda ossigeno, mentre le esalazioni corporee derivanti dalla decomposizione di sudore, escrezioni e secrezioni generassero anidride carbonica e altri gas nocivi, producendo un’aria “viziata” capace di provocare asfissia. Per motivi igienici, si sconsigliava inoltre di tenere i bambini in luoghi affollati o nelle stalle, come era abitudine fare in ambito rurale durante l’inverno.

Parallelamente, assunsero crescente importanza anche considerazioni legate al pudore: la promiscuità dei corpi di età e sesso diversi veniva considerata sconveniente, e nelle case della borghesia e dell’aristocrazia si rese progressivamente necessario confinare i bambini in camere a loro dedicate [13]. Negli ultimi decenni del XIX secolo, con l’affermarsi della microbiologia, i “prodotti morbigeni” trasmessi dai soggetti vicini ai bambini furono identificati come possibili cause di patologie, promuovendo norme igieniche più rigorose e l’uso di lettini di ferro smaltato collocati in ambienti separati e puliti. Nei primi anni del XX secolo, alcuni pediatri segnalarono anche il rischio che il lattante, tenuto nel letto della madre, potesse essere allattato in maniera eccessiva, con conseguenti ragadi per la madre e gravi patologie gastrointestinali per il bambino. Dalla prima metà del secolo, con la diffusione delle teorie della psicoanalisi e della psicologia infantile, i bambini vennero progressivamente allontanati dai letti e dalle camere degli adulti, sia per evitare che assistessero a rapporti sessuali tra adulti, sia per favorire lo sviluppo della loro autonomia [14].

4. Contatto madre-neonato. Indicazioni mediche e ostetriche per il mantenimento del calore nei primi giorni di vita Nel corso dei secoli, tuttavia, alcuni medici raccomandarono alle donne di tenere il proprio neonato nel letto accanto a loro per pochi giorni dopo la nascita, o per un periodo più lungo in caso di freddo intenso o di bambini deboli o prematuri, affinché potessero beneficiare del “calore naturale” necessario alla loro sopravvivenza.

Michele Savonarola, nella prima metà del XV secolo, invitava le donne ferraresi a far dormire il neonato nel letto con loro e, “passati zuorni octo, reformati e fortificati i membri, ponere se debe ne la cuna, che coperto stia cum il panno, e quello cunare, e gubernare” [15].

Scipione Mercurio, nel 1596, consigliava che, dopo il recupero e il rifocillamento della madre, “passato che sarà un quarto di hora le si potrà collocare la creatura al lato stanco [a sinistra] in modo che le tocchi il fianco, tenendola così mezza ho-

Specchi a Roma, 1468. Il miracolo è rappresentato in due scene distinte. A sinistra, la madre, seduta in preghiera, tiene sulle ginocchia il figlio vestito, apparentemente di due o tre anni, ormai senza vita; di fronte a lei, Santa Francesca Romana si china sul bambino e gli sfiora la gola con la mano destra. A destra, lo stesso fanciullo, con gli abiti identici, appare risorto: la madre, inginocchiata, lo sostiene sollevandolo per le ascelle e lo presenta alla santa in atto di devozione. La didascalia svela: “Essendo muorto uno fanciullo lo quale se era affocato la nocte ad lato della matre, la quale recommandando / con lacrime alla beata Francesca, essa beata mossa a compassione, facta oratione, toccandolo, subito fu resuscitato”.

Figura 4. Antoniazzo Romano, Un miracolo di santa Francesca Romana , affresco, monastero delle Oblate di santa Francesca Romana a Tor de’

ra almeno: imperochè è stato parere di molti, che se la madre ogni giorno la mattina tenesse il figlio per mezza hora avanti gli desse il latte nel modo predetto, lo preserverebbe quasi da infinite malattie; e ciò per virtù di quel calore, col quale quasi fomentando, e aiutando il suo proprio calore lo acuisse a dissipare gli escrementi, che radunatisi nel corpo col tempo possono molti mali generare; il che vediamo farsi per solo istinto naturale delle chioccie con i loro pulcini molte volte il dì anco nell’estate caldissima” [16].

Ludovico Mercati, nel 1615, raccomandava di affidare il neonato macilento, accaldato o molto estenuato “a una giovane donna, formosa, di buona costituzione e di carnagione fresca, che possa tenerlo al caldo nel suo letto e rinfrescarlo con il suo alito, perché conosciamo molti che sono guariti solo da questo” [17].

Giovanni Zeviani, nel 1775, per assicurare il calore ai bambini nati nei mesi invernali, suggeriva di lavarli con acqua calda, asciugarli con panni caldi, fasciarli e riporli “nel letto a canto alla madre, affinché goda[no] di quel riposo, di quel ritiro, di quel tepore, di che ha bisogno per se stessa la madre”. Ammoniva però che “prima che la Madre nelle ore notturne diasi al sonno, in soffici piume riscaldate riporrà il bambino nella vicina sua cuna; affinché dormendo essa [il bimbo] non sia soffocato, a che le leggi minacciano severi castighi” [18]. Nel 1773, Alphonse Leroy, professore di ostetricia alla Facoltà di Medicina di Parigi, noto per il suo carattere litigioso e le opinioni paradossali con le quali intendeva rivoluzionare l’insegnamento dell’ostetricia, prescriveva di tenere il neonato vicino alla madre nei primi nove giorni di vita affinché essa gli trasmettesse il proprio calore vitale. Sosteneva che “il neonato ama essere tenuto vicino alla madre: se lo si corica in una culla, lontano da lei, cerca di strisciare verso di lei ed è felice di essere tenuto vicino a lei finché non può riscaldarsi con il suo calore. Attraverso l’abbraccio la madre comunica il suo calore al neonato: si verifica una certa circolazione di vapore [‘roris’] vitale che, ricevuto dai pori di entrambi, unisce le forze della vita in una sola, mescolandole e accrescendole entrambe, il che è definito da tutti i medici il rimedio più eccellente per la pelle”. Per prevenire il soffocamento, Leroy raccomandava però l’uso dell’arcuccio, illustrandone anche l’immagine [19]. Nel 1856, Isacco Galligo prescriveva di far dormire i bambini di famiglie povere nell’inverno insieme alla nutrice o alla madre, le quali dovevano assicurarsi di riscaldare i piccoli, ma facendo attenzione a non soffocarli [20]. Il chirurgo e ostetrico Vincenzo Balocchi, nel 1859, consigliava di tenere al caldo il bambino nato debole o prematuro e di portarlo “di tanto in tanto nel letto di sua madre, che avvicinandolo al suo seno per nutrirlo, continuerà in qualche modo quell’ incubazione che ha preceduto la sua nascita” [21]. Una posizione ancora più decisa contro l’uso esclusivo della culla e a favore del contatto diretto con la madre fu assunta dal chirurgo e ostetrico inglese Pye Henry Chavasse, nel 1868. Egli sosteneva che “per i primi mesi, [il bambino] ha bisogno del calore del corpo di un’altra persona, specialmente d’inverno; ma si deve aver cura di non andargli addosso, come avviene già di molti bimbi che morirono soffocati perché non si fece attenzione a questo avvertimento” e forniva precise indicazioni per prevenire il soffocamento: “1. Che il vostro bimbo abbia molto posto nel letto. 2. Non lasciate mai che esso vi sia troppo vicino, e se abbisogna che sia vicino a voi (per ristrettezza di letto), che la faccia sia volta dalla parte opposta. 3. Procurate che sia comodo, tanto se adagiato sopra un lato che sul dorso. 4. Abbiate cura che la sua bocca non venga coperta dal lenzuolo o dalle coperte. 5. Non coprite mai la sua faccia con nessuna coperta, giacché egli ha più bisogno d’abbondanza d’aria quando dorme che quando è sveglio. 6. Non permettete mai che giaccia basso nel letto. 7. Non lasciate che vi sia qualche cuscino vicino a quello su cui giace la sua testa, per tema ch’egli si

giri e che il capo venga sepolto nel cuscino vicino. Ricordatevi che un bimbo non ha né la forza, né il sentimento per poter uscire dal pericolo, e s’egli girerà la faccia e si immergerà in un cuscino vicino, l’esito ne sarà la soffocazione: per lo più questi accidenti avvengono di notte quando la madre o la nutrice sono profondamente addormentate. 8. Non affidatelo mai di notte ad una donna di servizio giovane e spensierata” [22].

Bibliografia

1. Flandrin JL. La famiglia. Edizioni di comunità, 1979:134-140.

2. Loux F. Le jeune enfant et son corps dans la médecine traditionnelle. Flammarion, 1978:198-200.

3. Stiffeler D, Ayres B, Fauvergue C, Cullen D. Sudden infant death and sleep practices in the Black community. J Spec Pediatr Nurs. 2018 Apr;23(2):e12213.

4. Bibbia. A cura di Bianchi E. Einaudi, vol. 1, 2021:820-821.

5. Gordon EC. Accidents among medieval children as seen from the miracles of six English saints and martyrs. Med Hist. 1991 Apr;35(2):145-163, in part. 154. Finucane RC. The rescue of the Innocents. McMillan, 1997:47-51.

6. Gélis J. L’arbre et le fruit. Fayard, 1984:483-484. Flandrin JL. Il sesso e l’Occidente. Mondadori, 1983:176-179. Frugoni C. Storia di un giorno in una città medioevale. Laterza, 1997:132. Prosperi A. Dare l’anima. Einaudi, 2005:45-80. Panza C. Infanticidio e abbandono. Medico e bambino. 2007;6:400-404;7:466-472, in part. 403-404.

7. Obladen M. Laws on infanticide. In: Obladen M. Oxford Textbook of The Newborn. A Cultural and Medical History. Oxford University Press, 2021:353-370.

8. Frugoni C. Storia di un giorno in una città medioevale. Roma-Bari, 1997:132 che cita Burchardi D. Decretorum liber decimus nonus. De poenitentia. Lib. XIX. PL, CXL, coll. 951-976, col. 975.

9. Flandrin JL. Il sesso e l’Occidente. Mondadori, 1983:176-222. Corrain C, Zampini PL. Documenti etnografici e folkloristici nei sinodi diocesani italiani. Forni, 1970. Golinelli L. Nascita e battesimo nei sinodi diocesani imolesi, anni 1584, 1693, 1718, 1764. Tesi di laurea magistrale in Storia, Università degli studi di Bologna, a.a. 20102011, relatrice Pancino C.

10. Norvenius SG. Some medico-historic remarks on SIDS. Acta Paediatr Suppl. 1993 Jun:82 Suppl 389:3-9.

11. Russell-Jones DL. Sudden Infant Death in history and literature. Arch Dis Child. 1985 Mar;60(3):278-281.

12. Frank JP. Sistema Compiuto di Polizia Medica. Pirotta e Maspero, vol. 3, 1807:199-202.

13. Perrot M. Storia delle camere. Sellerio, 2011:121-146.

14. Boltanski L. Puericultura e morale di classe. Guaraldi, 1972:167-168.

15. Belloni L. Il trattato ginecologico-pediatrico in volgare di Michele Savonarola. Stucchi, 1952:143.

16. Mercurio S. La commare o raccoglitrice. Ciotti, 1596:85-86.

17. Mercati L. De puerorum educatione, custodia et providentia. Francoforte, 1615:203.

18. Zeviani GV. Su le numerose morti dei bambini. Moroni, 1775:58-59.

19. Le Roy [ma Leroy] AVL. Questio medica, cardinalitiis disputationibus mane discutienda in scholis medicorum, die Jovis prima mensis Aprilis, Anno Domini 1773. Quillau, 1773. Leroy AL. Médecine maternelle ou l’art d’élever et de conserver les enfants. Bailliere, 1803:32-45.

20. Galligo I. Su l’igiene e le malattie dei bambini. Barbera, Bianchi & C., 1856:49-52.

21. Balocchi V. Manuale completo di ostetricia per gli studenti di medicina e chirurgia e per le levatrici. Oliva, 1859:795-804.

22. Chavasse HP. Consigli d’un medico alle madri. Drucker & Tedeschi, 1878:64-69.

Il pediatra è un mestiere difficile, la storia: se il cuore chiama... la vescica risponde

Catherine Hamon1 , Francesco Ciotti1 , Micaela Bucci2 , Giancarlo Cerasoli2 , Mila Degli Angeli2 , Nadia Foschi2 , Marna Mambelli2 , Antonella Stazzoni2 , Francesca Vaienti2 , Isabella Penazzi2 , Chiara Bussetti2

1 Neuropsichiatra infantile

2 Pediatra

Il problema trattato riguarda il sintomo della pollachiuria funzionale che attraversa le storie di alcuni bambini all’ingresso nella scuola elementare. Dalla discussione emergono le diverse possibilità di approccio al problema: quello sintomatico e comportamentale, quello del significato del sintomo nella storia famigliare e scolastica del bambino, quello del coinvolgimento di genitori e insegnanti nella conoscenza e nella comprensione dei segnali di adattamento transitori a uno stress ambientale.

The problem concerns as symptom the functional pollakiuria which cross over the hystories of some childrens entering at primary school. We discuss as possible different approaches to the problem: that symptomatic and behavioral, that of symptom’s meaning in the child’s familial and scholastic hystory; that of parents’ and teachers’ involvement for knowing and understanding of adaptation’s transitional signs to enviromental stress.

Il racconto

Ped. Davide è nato nel 2017. Ha 7 anni. Ha un fratellino di 4 anni. La madre è cardiologa, il padre insegnante. Entrambi i fratelli sono passati alla mia assistenza nel 2021 dopo il pensionamento di un collega. La mamma mi ha consultato prima per i problemi del fratellino, seguito a Bologna dall’età di 1 anno per un quadro epilettico non meglio precisato con prescrizione di antiepilettici. Quando mi ha consultato il centro di Bologna aveva sospeso la terapia non ritenendola più necessaria, ma la madre mi chiedeva un altro riferimento specialistico vicino per maggiore tranquillità. Io allora l’ho indirizzata al nostro servizio NPI. Poco dopo viene in consultazione per Davide, quando ormai ha 5 anni di età, perché soffre di cefalea talora intensa con arrossamento degli occhi. La madre è molto preoccupata sospettando un equivalente epilettico e anche per Davide faccio un invio al servizio NPI. La specialista NPI per l’intensità della cefalea programma sia una RMN cerebrale, poi rivelatasi negativa, sia esami ematici che rivelano una celiachia. Fratellino e genitori risultano negativi per la celiachia. Davide inizia una dieta senza glutine in maniera accorta e responsabile, tanto che, dice la mamma, quando va a una festa o a un compleanno le chiede sempre se può prendere un alimento per mangiarlo oppure no. La cefalea nel contempo si riduce, ma compare un altro sintomo, di giorno fa pipì molto spesso anche 40 volte in

un giorno, senza riferire né dolore né bruciore. Prescrivo eco renale, esame urine e raccolta urine delle 24 ore, tutti nella norma. Nel frattempo Davide deve iniziare la prima elementare. A scuola la pollachiuria è molto più contenuta, la maestra con lui è molto accogliente e Davide va volentieri a scuola. A quel punto ho interpretato la pollachiuria come un sintomo psicosomatico forse legato allo stress successivo alla diagnosi di celiachia e alla dieta e ho consigliato un percorso psicologico presso il servizio NPI. Ha cominciato questo percorso da poco e non ne ho il rimando. Certo è che quando ho consigliato questo percorso, la madre mi ha abbracciato e mostrato tutta la sua gratitudine come sollevata dall’assenza di un altro problema organico.

Il confronto

NP1. Hai altri elementi della storia di questa famiglia?

Ped. Pochi. Sono di origine romagnola. Ci sono i nonni, perché i genitori lavorando spesso lasciano i figli dai nonni.

NP1. Ci sono altre malattie in famiglia?

Ped. Non che io sappia. Dopo la diagnosi di celiachia, la mamma mi ha confessato i suoi sensi di colpa verso Davide, perché non si era accorta che non cresceva assorbita com’era dal problema epilettico del fratellino. Ma io vi ho portato la storia di Davide, perché nell’ultimo periodo ho visto altri bambini maschi intorno ai 6 anni di età e con un fratello minore, con lo stesso sintomo della pollachiuria. Due di questi bambini erano all’inizio della prima elementare e oltre alla pollachiuria avevano una tosse diurna insistente. L’ho interpretato come un sintomo di ansia per l’ingresso in scuola elementare. Come se l’ansia nei maschi si esprimesse a questa età con questo sintomo. Il fatto poi che tutti avessero un fratello minore non lo so spiegare.

Ped1. A me sono capitati bambini con la pollachiuria ma un poco più grandi, più vicini ai 10 anni di età. Senza basi organiche dopo aver fatto ecografia renale, esame urine e urine nelle 24 ore, a volte sono guariti semplicemente facendo a più riprese in ambulatorio il combur test sulle urine e mostrando loro che era negativo, e così rassicurandoli.

NP1. Nel mio ambulatorio vedo bambini in età scolare con disturbi di apprendimento. Facendo l’anamnesi coi genitori mi sono imbattuto in sintomi psicosomatici diversi, soprattutto dolori addominali e cefalea, ma mai nella pollachiuria.

Ped. In realtà è un sintomo relativamente frequente in ambulatorio pediatrico, per quanto mi riguarda sempre nei maschi. Tanto che mi sono chiesta quale possa essere un sintomo di significato equivalente nella femmina. Ultimamente ho visto per esempio una bambina di terza elementare molto ansiosa, ha una grande paura del fuoco tanto che in classe ha avuto una crisi di panico incontrollata al racconto della Madonna del Fuoco di Forlì. Ebbene questa bimba a 6 anni, all’ingresso in prima elementare, ha presentato una encopresi che ha richiesto un intervento psicologico.

NP2. In generale si può dire che sia la pollachiuria che l’encopresi possano avere un significato psicosomatico, ma si possono presentare indifferentemente nei due sessi. Ma la madre di Davide si può dire una mamma ansiosa?

Ped. Per la salute dei suoi figli si può dire di sì. Non so se questo possa dipendere anche dal suo mestiere di medico, e di cardiologa per di più.

NP2. In questa famiglia può circolare una angoscia di morte? Certo la professione di cardiologa della madre può esporre a questo rischio se non ci sono altri allarmi di salute in famiglia, a parte i suoi figli. L’epilessia in generale può evocare nel genitore l’angoscia di morte, per di più una strana epilessia che non ha una diagnosi definitiva e lascia i genitori nel dubbio.

NP1. Davide ha esordito a 5 anni con una cefalea, era già psicogena o era uno dei tanti sintomi atipici della celiachia? Di solito la cefalea psicogena e da tensione hanno esordio più tardivo.

Per un approccio al bambino con pollachiuria funzionale

Intervento sul sintomo Ricerca del significato

– Combur test urine, esame urine

– Ginnastica minzionale

– Storia del sintomo

– Storia famigliare

– Problema in ambito scolastico

– Problema in ambito tempo libero

Ped. In ogni caso per la madre il passaggio per Davide dall’organico allo psicologico sembra l’abbia sollevata, come se con questo potesse passare dalla figura di medico a quella di madre.

NP2. E il marito in tutta questa vicenda?

Ped. Mai visto. In verità anche la mamma viene poco in ambulatorio. Molte cose le fa per telefono. È reticente a venire in ambulatorio coi bimbi, sembra aver paura che mi disturbino quando invece sono compostissimi.

NP1. Ora come va la pollachiuria?

Ped. Da notizie recenti è migliorata parzialmente.

Ped2. Anche io ho visto pollachiurie all’ingresso in prima elementare e le ho interpretate come un sintomo di ansia da prestazione, per la pressione di oggi di genitori e insegnanti sugli apprendimenti. Poi gradualmente tendono fisiologicamente a regredire.

Ped. Uno dei miei bambini con pollachiuria in prima elementare ha anche seguito una valutazione per i disturbi di apprendimento. Valutazione negativa. Nello stesso bambino poi la scuola in seconda elementare ha richiesto una seconda valutazione. E questa pressione della scuola ha anche creato un conflitto tra maestri e genitori.

NP2. In certi casi è utile che il professionista incontri gli insegnanti per far capire loro i bisogni del bambino nel primo ciclo della primaria, come fare delle pause e non avere pressioni sulla prestazione.

NP1. In effetti quando il bambino a scuola ha un problema di apprendimento o di comportamento, c’è l’abitudine che il professionista che lo segue cerchi e si interfacci con gli insegnanti oltre che con la famiglia. Però anche quando il bambino ha un problema psicologico d’ansia o di altro tipo, il professionista dovrebbe lavorare coi diversi sistemi di vita del bambino. Oggi un sistema scolastico molto competitivo e aziendalista induce spesso ansia da prestazione.

NP2. Questo può valere anche in altri ambiti di vita competitivi del bambino, come quello sportivo o artistico. L’ideale sarebbe che lo psicologo nella presa in carico lavorasse con tutti i sistemi di vita significativi del bambino.

Ped3. Nella pollachiuria di maschi e femmine io spesso ho buoni risultati insegnando loro la ginnastica minzionale per educarli a svuotare il più possibile la vescica. Il bambino deve essere educato a rispondere prontamente all’esigenza minzionale senza rinviare perché troppo indaffarato a giocare o a far altro; giunto in bagno deve liberare le gambe da indumenti scomodi facendo scivolare i pantaloni sino ai piedi in modo da non avere alcun impedimento; una volta seduto comodamente con i piedi appoggiati su uno sgabello, prima di iniziare la minzione è invitato a fare un bel respiro poi a contare almeno fino a 10, così nel frattempo si rilassa e rilassa il piano pelvico; deve poi iniziare la minzione rilasciando lo sfintere senza usare il torchio addominale (spinge per fare prima), finché pensa di aver finito. A questo punto, prima di alzarsi, deve nuovamente contare anche un po’ di più (fino a 20) in modo che se ci fosse il residuo postminzionale questo possa essere eliminato subito e non torni a far avvertire lo stimolo a far pipì dopo poco tempo.

NP2. Certo che può funzionare. Il bambino impara a regolare il sintomo. Ma come regola la sua ansia? Si può spostare altrove? Il nostro Davide per esempio sembra un bambino molto controllato e ben educato, che lascia solo andare la pipì. Non si arrabbia mai?

Fonti informative

– Genitori – Eventuale medico precedente

– Insegnanti scolastici

Ped. La mamma dice che a casa è un bambino vivace e molto responsabile sulla sua dieta. Comunque in ambulatorio è molto educato come il suo fratellino. Che sono così educati io lo attribuisco anche al fatto che mi frequentano solo da due anni. Non hanno avuto l’imprinting di quelli che ti conoscono sin dalla nascita e che poi ti prendono in confidenza.

NP2. Forse di questi due fratelli ci manca proprio la loro storia sin da piccoli, quando il piccolo era il malato e Davide il sano, mentre ora è il contrario. Per questa storia che ci manca tu puoi contattare il tuo collega in pensione? Forse sarebbe utile. Per esempio, nel passato ci sono segreti famigliari? Io ricordo per esempio una bimba che vidi a 4 anni, quando faceva la materna, per una cefalea intensa che poi ho perso di vista. Mi si è ripresentata a 15 anni sempre per cefalea e difficoltà di relazione coi pari. Comincio una serie di sedute individuali in totale silenzio e senza risultati. Poi un bel giorno arriva in terapia in lacrime: il padre aveva tentato il suicidio perché era venuto fuori in famiglia che questo padre aveva una dipendenza dal gioco e dall’alcol. Un segreto famigliare parziale, perché in realtà la moglie ne era a conoscenza da tempo. Dopo lo svelamento del segreto e alcune sedute, la cefalea è scomparsa, la ragazza ha fatto un soggiorno di studio all’estero ed è stata dimessa. Nella famiglia di un’altra bambina con cefalea vi era un segreto famigliare ancora più grande, quello che la bimba credeva fosse suo padre non era suo padre. Dopo sei mesi di psicoterapia, il padre mi ha preso da parte e mi ha detto che quella non era sua figlia.

Ped4. In che modo il segreto famigliare si ripercuote sulla salute mentale di un figlio?

NP2. Probabilmente il bambino sente che c’è un non detto, qualcosa alla quale lui non ha accesso e da cui è escluso. Nel caso di quest’ultima bimba, quando la madre ha lasciato quest’uomo ed è tornata a vivere col padre vero della bimba, la cefalea è scomparsa.

Ped. Quello che posso dire è che forse Davide si è sentito escluso e non visto perché il fratellino aveva l’epilessia e la mamma medico si è focalizzata su di lui. La mamma da parte sua non ha dato subito troppo peso alla scarsa crescita di Davide sia perché era assorbita dall’epilessia del fratello sia perché tra il 2020 e il 2021 siamo stati assorbiti dalla pandemia. La diagnosi solo all’età di 5 anni e l’inizio della dieta per Davide e per tutta la famiglia l’ha fatta sentire in colpa. Io da parte mia ho cercato di rassicurarla dicendole che la diagnosi di celiachia a questa età non è di per sé tardiva e che oggi la dieta senza glutine è molto varia per una grande disponibilità di alimenti sul mercato in un mondo dove ormai tanti mangiano vegetariano e cereali senza glutine.

Ped4. Tuttavia la diagnosi di celiachia e la dieta senza glutine hanno comunque un impatto psicologico non tanto per la salute fisica ma per la diversità che si deve affrontare in alcune occasioni sociali, come le feste, i compleanni, ecc.

NP2. Quello che si può dire è che in questa famiglia ci sono più livelli di complessità: la celiachia di Davide, l’epilessia del fratello, il lavoro della madre sul cuore dei pazienti, e una storia famigliare il cui ciclo vitale non ci è sufficientemente noto. Su questo forse si può ancora lavorare cercando un collegamento col pediatra che li ha seguiti fino al 2021.

– Istruttori, maestri francescociotti1949@gmail.com

La famiglia come guscio che protegge

Parole, silenzi e legami nel tempo della cura

Anna Santini

Psicologa e psicoterapeuta, Centro Regionale Veneto di Cure

Palliative e Terapia Antalgica Pediatrica, Hospice Pediatrico, Azienda Ospedale-Università di Padova

Questo contributo è stato scritto nell’ambito delle attività del gruppo di lavoro ACP “Dolore e CPP”.

Nelle cure palliative pediatriche la famiglia non è solo contesto, ma parte viva dell’esperienza di malattia inguaribile: contenuto e contenitore insieme. Parole, silenzi e gesti quotidiani diventano strumenti di cura, capaci di proteggere e generare significati condivisi. La comunicazione, adattata all’età e alla sensibilità del bambino, non è mai un semplice trasferimento di informazioni, ma un’esperienza relazionale. Anche il silenzio, se riconosciuto e accompagnato, può trasformarsi in spazio di cura. Il tempo della malattia, attraversato dal lutto anticipato, chiede di essere abitato insieme, sostenendo i genitori affinché diventino modelli di coping per i figli. La qualità dell’accompagnamento si misura nella capacità di trasformare la fragilità in presenza e il tempo che resta in tempo pieno di vita.

In pediatric palliative care, the family is not only a context but an active part of the experience of incurable illness: both content and container. Words, silences, and everyday gestures become instruments of care, capable of protecting and creating shared meaning. Communication, adapted to the child’s age and sensitivity, is never a mere transfer of information but a relational experience. Silence, when acknowledged and supported, can also become a space of care. The time of illness, marked by anticipatory grief, must be inhabited together, supporting parents so they can become models of coping for their children. The quality of accompaniment lies in the ability to transform fragility into presence and the time that remains into time filled with life.

Introduzione

Nel contesto delle cure palliative pediatriche (CPP), la famiglia non è soltanto destinataria di interventi, ma il luogo in cui la malattia prende forma e significato. Ogni esperienza di cura nasce e si trasforma nel dialogo tra chi vive la malattia e chi la accompagna: parole, silenzi e gesti diventano strumenti attraverso cui la realtà viene continuamente interpretata e condivisa. Le CPP, come ricorda l’Organizzazione Mondiale della Sanità, si fondano su un approccio globale che integra dimensioni fisiche, psicologiche, sociali e spirituali [1,2]. La malattia inguaribile non è quindi un evento da spiegare, ma un’esperienza da raccontare, da abitare insieme. Ogni parola detta – o taciuta – contribuisce a modellare il funzionamento famigliare. Il linguaggio non è solo mezzo di comunicazione, ma spazio di cura: “le parole sono finestre, oppure muri” scrive Rosenberg [3] e nel tempo della cura diventano ponti tra fragilità e risorse. Le conversazioni famigliari, anche quelle più esitanti, sono luoghi in cui si costrui-

sce resilienza [4], si ridefiniscono i ruoli, si protegge il senso di continuità. Questo processo riguarda non solo il bambino, ma l’intero nucleo famigliare, che si trova a riorganizzare quotidianamente equilibri e significati.

La psicologia relazionale, in particolare nelle sue declinazioni narrative [5], invita a considerare ogni membro della famiglia come portatore di una propria storia, che si intreccia con quella degli altri. Il bambino, anche quando non esplicita domande, osserva, interpreta, partecipa. I genitori, nel tentativo di proteggere e sostenere, modulano la verità in forme emotivamente sostenibili. Gli operatori sanitari, se capaci di ascolto e presenza, possono facilitare questa co-costruzione, riconoscendo che la famiglia non è solo contesto, ma parte viva del processo di cura.

In questo quadro, il lavoro delle CPP non si limita a contenere il disagio e la sofferenza, ma a promuovere uno spazio generativo: un luogo in cui parole, silenzi e gesti trovano senso, e in cui il tempo della cura può trasformarsi in tempo di relazione e narrazione condivisa. L’obiettivo di questo contributo è raccontare la famiglia come spazio che custodisce e, al tempo stesso, è attraversato dall’esperienza della malattia inguaribile: un guscio che protegge e che, attraverso legami, comunicazione e silenzi, partecipa in modo attivo al cammino della cura. Porre attenzione alla famiglia significa, per gli operatori sanitari, riconoscere che essa non è solo contenitore, ma anche contenuto dell’esperienza, e che proprio in questa duplice funzione si gioca la qualità dell’accompagnamento.

Verità che proteggono: modulare la comunicazione nella complessità

Nel tempo della cura, la verità non è un blocco monolitico da consegnare, ma una trama da tessere insieme. I genitori, immersi in un equilibrio fragile tra protezione e autenticità, modulano il flusso informativo verso il figlio con attenzione quasi artigianale. Ogni parola viene soppesata, ogni silenzio calibrato. Non si tratta di mentire, ma di costruire una verità emotivamente sostenibile, che tenga conto dell’età, della sensibilità e del momento.

La letteratura sullo sviluppo infantile mostra come la capacità di comprensione della malattia vari in base all’età e al livello cognitivo. Nei bambini in età prescolare, la comprensione della malattia si costruisce attraverso ciò che vedono e sentono nel quotidiano: un ago, una flebo, un genitore che piange. Il pensiero è ancora legato al concreto, all’immediato, ma allo stesso tempo è attraversato da elementi “magici”: il bambino può credere che la malattia sia causata da un gesto sbagliato, da un pensiero cattivo, o che basti un disegno o una parola speciale per farla sparire. In questa fase evolutiva, realtà e fantasia si intrecciano. Mentre in età scolare emergono spiegazioni più logiche e causali; in adolescenza, infine, si sviluppa una consapevolezza più astratta e complessa [6,7]. Per questo motivo, la verità non può essere trasmessa in modo uniforme, ma deve essere adattata ai canali comunicativi più accessibili e significativi per ciascun bambino.

In questo senso, fiabe, metafore e gioco simbolico diventano strumenti privilegiati: attraverso la narrazione fantastica o l’attività ludica, il bambino può esplorare concetti difficili come la perdita, la trasformazione del corpo o la finitudine, senza esserne travolto. La comunicazione, allora, non è solo trasferimento di informazioni, ma esperienza condivisa che permette di dare forma a emozioni e pensieri. Come sottolinea Tomm, “le domande che poniamo e le parole che scegliamo non descrivono soltanto la realtà, ma la creano” [8]: nel contesto palliativo, questo significa che la verità prende corpo nei modi in cui viene narrata, giocata, resa vivibile.

Il bambino, anche quando non formula domande dirette, ascolta e interpreta. I genitori lo sanno, e spesso si trovano a navigare tra il bisogno di dire e il timore di ferire. Alcuni scel-

gono metafore, altri frammenti di verità, altri ancora attendono che sia il figlio a porre la domanda. In ogni caso, la comunicazione non è mai neutra: è un atto di cura, un gesto relazionale che plasma il legame e che contribuisce a definire il modo in cui la famiglia affronta la malattia.

Per gli operatori sanitari, questo significa accompagnare la famiglia a scegliere la modalità comunicativa più adeguata, sostenendo i genitori nell’esplorazione delle loro paure legate al “dire la verità” e aiutandoli a fronteggiare in prima persona le cattive notizie e le emozioni negative. Solo così possono diventare modelli di coping per i figli, mostrando che anche la fragilità può essere abitata con dignità. L’operatore non sostituisce la voce dei genitori, ma li affianca nel trovare parole, silenzi e gesti che rendano la verità un’esperienza condivisa e sostenibile per l’intero nucleo famigliare.

Box 1. Una fiaba per raccontare la fase di terminalità

I genitori di Giulio, un bambino di 6 anni affetto da tumore cerebrale, affrontano la fase di terminalità a domicilio, supportati dal servizio di cure palliative pediatriche. Desiderano poter condividere con lui questo tempo senza spaventarlo o farlo sentire schiacciato dalla preoccupazione. Insieme alla psicologa del servizio decidono di introdurre una storia nella routine serale della lettura, già famigliare e rassicurante per Giulio. La fiaba scelta racconta di una stella cadente che, dopo aver brillato intensamente nel cielo, si sente molto stanca ed è pronta a spegnersi. Le altre stelle decidono di splendere più intensamente del solito per starle vicino. La sua luce, però, continua a vivere negli occhi e nei ricordi di chi l’ha vista passare.

Durante la lettura, Giulio pone diverse domande: “Ma la stella tornerà nel cielo?” La madre risponde: “No, quando una stella cade non torna più, ma la sua luce resta nel cuore di chi l’ha guardata e amata.”

“E tu sarai con me quando sarò stanco come la stella?” La madre ha detto: “Sì, io sarò sempre accanto a te, come le altre stelle che restano vicine per scaldarla con la loro luce.”

La metafora della stella cadente permette a Giulio di avvicinarsi al tema della morte senza sentirsi sopraffatto, trasformando la verità in un’esperienza condivisa e sostenibile. Questo esempio mostra come l’uso di simboli e rituali quotidiani, pensati insieme ai genitori, possa rendere la comunicazione più accessibile e aiutare la famiglia a vivere la fase terminale come tempo di legame e presenza.

Silenzi che curano: il valore del non detto

Se la parola è strumento di cura, anche il silenzio può esserlo. Nelle famiglie che affrontano la malattia inguaribile, il silenzio non è mai neutro: può rappresentare protezione, rispetto dei tempi emotivi, possibilità di custodire significati difficili da esprimere; ma può anche trasformarsi in isolamento, distanza e incomunicabilità [9]. La sfida, per genitori e operatori, è distinguere tra silenzi che proteggono e silenzi che feriscono.

La letteratura sulla comunicazione in cure palliative sottolinea come il silenzio possa costituire un atto intenzionale di presenza, un modo per “stare con” senza riempire lo spazio di parole [10]. In questo senso, il silenzio diventa un contenitore relazionale che permette al bambino e alla famiglia di elaborare emozioni complesse, senza sentirsi invasi o sopraffatti. Al tempo stesso, quando il silenzio nasce dalla paura di affrontare la sofferenza, rischia di interrompere il dialogo e di lasciare il bambino solo con le proprie domande implicite [11]. I bambini, infatti, sono sensibili tanto alle parole quanto alle omissioni: percepiscono tensioni, colgono incongruenze, interpretano i non detti. Un silenzio che non viene accompagnato rischia di essere riempito da fantasie angosciose, spesso più

dolorose della realtà stessa [12]. Per questo motivo, il compito degli operatori sanitari non è “rompere” il silenzio, ma aiutare la famiglia a riconoscerne il significato, a trasformarlo in spazio di ascolto reciproco e, quando necessario, a introdurre parole che lo rendano abitabile.

Accompagnare i genitori in questo processo significa sostenerli nell’affrontare le proprie paure, nel tollerare l’incertezza e nel riconoscere che anche il silenzio può essere comunicazione. L’operatore, con la sua presenza, può legittimare il silenzio come tempo di cura, ma anche incoraggiare la famiglia a non lasciare che esso diventi barriera. In questo equilibrio delicato, il silenzio si trasforma da assenza a gesto attivo, da vuoto a contenitore di relazione.

Box 2. Tenersi la mano in silenzio

Luca, 14 anni, affetto da una malattia neuromuscolare in fase avanzata, vive a domicilio con i genitori, seguiti dal servizio di cure palliative pediatriche. Negli ultimi giorni, il padre trascorre molto tempo accanto al letto del figlio senza parlare, limitandosi a tenergli la mano mentre guardano insieme le partite di calcio della loro squadra preferita. La madre, inizialmente preoccupata che questo silenzio potesse essere percepito come distanza, comprende con l’aiuto della psicologa del servizio che, per Luca, quella presenza muta è un segno di vicinanza e protezione.

Durante una visita, Luca sussurra: “Papà non dice niente, ma io so che c’è.” In quel momento il silenzio diventa linguaggio, un contenitore che custodisce emozioni difficili senza bisogno di parole.

Per gli operatori, questo esempio mostra come il silenzio, se riconosciuto e accompagnato, possa assumere valore terapeutico: non va forzato né riempito, ma accolto come forma di comunicazione che permette alla famiglia di abitare insieme la fragilità.

Il tempo della cura: lutto anticipato e legami famigliari

La malattia inguaribile di un bambino o di un adolescente trasforma radicalmente la percezione del tempo. Non si tratta più di un tempo lineare, scandito da tappe di crescita e progettualità, ma di un tempo sospeso, frammentato, che alterna attese, regressioni e improvvise accelerazioni. In questo scenario, la famiglia vive un processo di lutto anticipato, ossia l’esperienza di confrontarsi con la perdita prima che essa avvenga, in un intreccio continuo tra presente e futuro [4,7].

Il lutto anticipato non è un evento isolato, ma un processo che attraversa l’intero nucleo famigliare. I genitori si trovano a oscillare tra la necessità di proteggere il figlio e il bisogno di prepararsi alla sua assenza; i fratelli vivono sentimenti ambivalenti di vicinanza e distanza; il bambino stesso, a seconda dell’età e della capacità di comprensione, può intuire la gravità della situazione e reagire con modalità proprie [6,7]. In questo senso, il tempo della cura diventa anche tempo di riorganizzazione dei legami, in cui ogni membro della famiglia ridefinisce il proprio ruolo e la propria posizione.

La prospettiva relazionale ci ricorda che il lutto anticipato non è solo dolore, ma anche possibilità di costruire significati condivisi. Come sottolinea Walsh, la resilienza famigliare nasce dalla capacità di affrontare insieme le crisi, trasformando la vulnerabilità in risorsa [4]. Allo stesso modo, Stern evidenzia come le esperienze precoci e le relazioni significative plasmino il mondo interpersonale del bambino, offrendo contenimento e continuità anche nei momenti di maggiore fragilità [13]. In questo quadro, il tempo della cura non è soltanto tempo di perdita, ma anche tempo di legame, in cui la famiglia può generare memorie, rituali e narrazioni che sopravvivono alla malattia.

Per gli operatori sanitari, riconoscere il lutto anticipato significa non ridurlo a un sintomo da contenere, ma considerarlo

parte integrante del percorso di cura. Accompagnare la famiglia in questo tempo sospeso implica legittimare le emozioni contrastanti, sostenere la costruzione di significati e favorire la creazione di spazi relazionali in cui la vita, pur nella sua finitudine, possa continuare a essere narrata e condivisa.

Box 3. Creare memorie nel tempo sospeso

Margherita, 9 anni, affetta da una malattia genetica rara a decorso progressivo, vive a casa con i genitori e un fratello maggiore, seguiti dal servizio di cure palliative pediatriche. La famiglia si trova a confrontarsi con il dolore del lutto anticipato: i genitori oscillano tra il desiderio di proteggere Margherita e la consapevolezza della sua crescente fragilità. Con l’aiuto della psicologa, decidono di trasformare questo tempo sospeso in un’occasione di legame, proponendo a Margherita di costruire insieme un album dei ricordi. Ogni sera scelgono una foto, la incollano e scrivono una frase che racconti un momento speciale: una vacanza, una festa di compleanno, un gioco con il fratello. Margherita partecipa con entusiasmo, aggiungendo disegni e colori. Un giorno, sfogliando le pagine, dice sorridendo: “È stato molto bello fare l’album insieme e vedere quante cose belle abbiamo fatto insieme.”

Questo rituale semplice diventa per la famiglia un modo per dare continuità alla presenza di Margherita, trasformando il dolore in memoria condivisa. Per gli operatori, l’esperienza mostra come accompagnare la famiglia nella creazione di rituali e memorie possa aiutare a vivere il lutto anticipato non solo come perdita, ma come tempo di legame e generatività.

Conclusioni e prospettive psicologiche

Nelle cure palliative pediatriche la famiglia è al tempo stesso contenuto e contenitore dell’esperienza: non semplice sfondo, ma luogo vivo in cui la malattia prende forma e viene condi-

visa. Parole e silenzi, se accompagnati, diventano strumenti di cura; il lutto anticipato, se riconosciuto, può trasformarsi in occasione di legame e resilienza. Per gli operatori sanitari, il compito non è sostituirsi ai genitori, ma sostenerli nell’affrontare paure ed emozioni, affinché possano essere modelli di forza e autenticità per i figli.

Bibliografia

1. Cure palliative pediatriche: un approccio integrato. World Health Organization, 2020.

2. Cure palliative pediatriche. Documento tecnico. Ministero della Salute, 2007. https://www.fimp.pro/images/aree%20tematiche/C_17_ pubblicazioni_797_allegato.pdf.

3. Rosenberg MB. Le parole sono finestre (oppure muri). Esserci Edizioni, 2003.

4. Walsh F. La resilienza familiare. Raffaello Cortina Editore, 2008.

5. White M, Epston D. Narrative Means to Therapeutic Ends. Norton, 1990.

6. Piaget J. La rappresentazione del mondo nel fanciullo. Giunti, 1972.

7. Bluebond-Langner M. The Private Worlds of Dying Children. Princeton University Press, 1978.

8. Tomm K. Interventive Interviewing: Part III. Family Process, 1987;26:167-183.

9. Back AL, Arnold RM, Tulsky JA. Mastering Communication with Seriously Ill Patients: Balancing Honesty with Empathy and Hope. Cambridge University Press, 2009.

10. Meier DE, Isaacs SL, Hughes RG. Palliative Care: Transforming the Care of Serious Illness. Jossey-Bass, 2010.

11. Contro N, Larson J, Scofield S, et al. Family perspectives on the quality of pediatric palliative care. Arch Pediatr Adolesc Med. 2002 Jan;156(1):14-19.

12. Kreicbergs U, Valdimarsdóttir U, Onelöv E. Talking about death with children who have severe malignant disease. N Engl J Med. 2004 Sep 16;351(12):1175-1186.

13. Stern DN. Il mondo interpersonale del bambino. Bollati Boringhieri, 2004.

anna.santini@aopd.veneto.it

“Noi siamo la Natura”

Il ruolo del pediatra nell’educazione ambientale partecipativa

Vincenza Briscioli1 , Leonello Venturelli2

1 Pediatra gruppo di lavoro ACP “Pediatri per un mondo possibile”

2 Già garante dei diritti dell’infanzia e dell’adolescenza per il Comune di Bergamo

La crisi climatica e ambientale costituisce un determinante emergente e trasversale di salute pubblica, con impatti documentati sullo sviluppo fisico, cognitivo e psicosociale dell’età evolutiva. Il General Comment n. 26 (2023) del Comitato ONU sui Diritti dell’Infanzia riconosce per la prima volta il diritto dei bambini a un ambiente sano e sostenibile, ponendo l’accento sulla necessità di garantire accesso all’informazione e alla partecipazione. In tale contesto, il pediatra può essere promotore di salute ecologica, integrando la dimensione ambientale nei percorsi educativi e preventivi. Il contributo analizza l’iniziativa “Noi siamo la Natura”, progetto territoriale ispirato alla metodologia photovoice, che coinvolge bambini e adolescenti in pratiche di osservazione, narrazione e proposta sul rapporto con la natura. L’esperienza suggerisce un possibile cambio di paradigma in pediatria: riconoscere il minore come soggetto attivo nella cocostruzione della salute, con implicazioni operative per la promozione di benessere, cittadinanza ecologica e giustizia intergenerazionale.

The climate crisis is an emerging and cross-cutting public health determinant, with well-documented effects on children’s physical, cognitive, and psychosocial development. General Comment No. 26 (2023) of the UN Committee on the Rights of the Child formally recognises, for the first time, the right of every child to live in a healthy and sustainable environment, emphasising the need to ensure access to information, participation, and environmental justice. Within this framework, paediatricians can act as promoters of ecological health by incorporating environmental awareness into educational and preventive practices. This paper presents the local initiative “Noi siamo la natura”, a participatory project in which children explore their relationship with nature using the photovoice methodology. The experience points to a potential paradigm shift in paediatrics: recognising children as active agents in the co-construction of health, with practical implications for advancing wellbeing, ecological citizenship, and intergenerational justice.

Introduzione

La crisi climatica e ambientale rappresenta una delle principali minacce alla salute dell’infanzia. Numerosi studi scientifici dimostrano come l’inquinamento atmosferico, la perdita di biodiversità e i cambiamenti climatici impattino negativamente sullo sviluppo psicofisico dei minori. In questo contesto, l’educazione ambientale non è solo una questione scolastica, ma un atto profondamente pedagogico, etico e relazionale. Il pediatra, in quanto figura di fiducia può avere un ruolo cruciale nel promuovere una cultura della cura della natura, non solo in termini di prevenzione, ma anche di educazione affettiva, sociale e civica.

Garantire un futuro alle nuove generazioni

Nel 2020, sulle pagine della rivista Lancet, è apparsa una corposa e autorevole revisione firmata dalla Commissione congiunta istituita da OMS, UNICEF e Lancet [1]. Il documento rappresenta un appello urgente ai governi di tutto il mondo affinché pongano al centro delle agende politiche il benessere dell’infanzia, come leva fondamentale per raggiungere gli obiettivi di sviluppo sostenibile (SDGs). La Commissione evidenzia con forza che il futuro delle nuove generazioni è oggi minacciato da una serie di fattori profondamente interconnessi: il cambiamento climatico, il degrado ecologico, le migrazioni forzate, i conflitti armati, le disuguaglianze diffuse e le pratiche commerciali predatorie. Nessun Paese può considerarsi esente: la salute e il futuro dei bambini sono sotto pressione ovunque. Garantire un futuro equo, sano e sostenibile significa investire concretamente nell’infanzia, assicurando a ogni bambino e bambina il diritto a crescere in un contesto armonioso e protetto. La Commissione propone un corpus di diritti fondamentali, che i governi e le istituzioni dovrebbero attuare, mettendo in primo piano l’equità e l’inclusione. Solo così sarà possibile realizzare l’Agenda 2030. Uno degli strumenti operativi proposti è la definizione di un nuovo indicatore per misurare il benessere e le prospettive future dei bambini, basato sui parametri SDG relativi alla salute, allo sviluppo e alla sostenibilità ambientale. Per misurare quest’ultima, la Commissione ha utilizzato le emissioni di gas serra pro capite come indicatore chiave, elaborando – con i dati del Global Carbon Atlas – una classifica dei Paesi in base al loro impatto climatico rispetto agli obiettivi fissati per il 2030. Il quadro che ne emerge è paradossale: i Paesi più poveri faticano ancora a garantire ai propri bambini una vita sana e dignitosa, mentre quelli più ricchi, pur disponendo di maggiori risorse, compromettono il futuro di tutti attraverso un livello di inquinamento da carbonio insostenibile, contribuendo all’aggravarsi della crisi climatica. Un segnale di speranza arriva proprio dai più giovani. In tutto il mondo, la voce dei bambini e degli adolescenti si leva con forza, denunciando le minacce ambientali che gravano sul futuro del pianeta. La loro partecipazione attiva alla discussione pubblica rappresenta un importante passo verso l’emancipazione e il riconoscimento della cittadinanza ecologica delle nuove generazioni. L’Agenda 2030 si fonda sul principio di non lasciare nessuno indietro, e colloca le persone più vulnerabili al centro dello sviluppo sostenibile. Per l’UNICEF, il benessere dei bambini si declina in cinque grandi ambiti che raccontano i diritti e i bisogni fondamentali dell’infanzia: crescere in salute e svilupparsi pienamente; avere accesso a un’istruzione di qualità; essere protetti da ogni forma di violenza e sfruttamento; vivere in ambienti sicuri e sani; e poter contare su pari opportunità, indipendentemente dal contesto in cui si nasce. Per raggiungere questi obiettivi, la Commissione propone tre azioni chiave: eliminare le morti infantili prevenibili; garantire salute, benessere e crescita; creare ambienti favorevoli e sostenibili in cui ogni bambino possa fiorire. In sintesi, il futuro dell’infanzia è anche il futuro dell’umanità. Investire nei diritti, nella salute e nella partecipazione dei bambini non è solo un dovere etico, ma una scelta strategica e lungimirante per il benessere del pianeta.

Diritti dell’infanzia e crisi climatica: un riconoscimento globale

Il 28 agosto 2023, il Comitato ONU per i Diritti dell’Infanzia ha adottato il General Comment n. 26, riconoscendo per la prima volta il diritto dei bambini a vivere in un ambiente pulito, sano e sostenibile. Questo documento rappresenta una svolta storica: collega in modo esplicito la protezione dei diritti dell’infanzia con le sfide ambientali globali, come il cambiamento climatico, l’inquinamento e la perdita di biodiversità [2]. Il Commento è il frutto di un processo partecipati-

vo che ha raccolto 16.331 contributi da oltre 7000 bambini in più di 100 Paesi. I dati emersi evidenziano profonde disuguaglianze: mentre nei Paesi del Nord globale circa un terzo dei bambini riporta cambiamenti di vita legati al clima, questa percentuale sale al 65% in Africa subsahariana. Nei contesti dove la povertà e la vulnerabilità ambientale sono già presenti, gli effetti della crisi climatica si manifestano in modo ancora più grave. Tra le richieste principali dei bambini ci sono: il diritto a un ambiente sano, l’ascolto delle loro voci nei processi decisionali, l’impegno trasparente di governi e aziende, la cooperazione internazionale, un’educazione ambientale accessibile e spazi in cui esprimere idee e proposte. Il General Comment n. 26 stabilisce inoltre che i governi devono garantire informazione, partecipazione e accesso alla giustizia ai minori su questioni ambientali. Anche le aziende devono valutare e ridurre l’effetto delle loro attività sulla vita e i diritti dei bambini. In sintesi, il documento non solo rafforza il diritto internazionale dei minori, ma propone una visione ecologica della cittadinanza infantile, in cui i bambini sono attori di cambiamento e non semplici vittime della crisi in corso. I bambini chiedono innanzitutto un ambiente pulito e sano in cui poter crescere, ma anche di essere ascoltati e presi sul serio, partecipando attivamente alle decisioni e alle azioni per la tutela del pianeta. Invocano trasparenza e responsabilità da parte di governi, aziende e adulti in generale, auspicano una cooperazione tra Paesi per affrontare la crisi climatica e chiedono educazione ambientale diffusa e accessibile. Vogliono inoltre disporre di spazi sicuri per esprimere idee e proporre soluzioni, partecipando così in modo concreto alla costruzione di un futuro sostenibile. Queste richieste trovano un forte riscontro nei dati scientifici. Una ricerca pubblicata nel 2022 da Save the Children e dalla Vrije Universiteit Brussel, intitolata Nati in crisi climatica, ha evidenziato l’urgenza di agire per proteggere i diritti dell’infanzia [3]. Secondo il rapporto, se gli impegni assunti con l’Accordo di Parigi non verranno mantenuti, i bambini nati nel 2020 rischiano di affrontare, nel corso della loro vita, un’esposizione fino a sette volte maggiore alle ondate di calore estremo rispetto ai loro nonni, quasi il triplo di periodi di siccità, inondazioni e perdite dei raccolti, e il doppio degli incendi boschivi. Circa l’80% dei bambini nel mondo è colpito ogni anno da almeno un evento climatico estremo. Tuttavia, non tutti i bambini affrontano la crisi climatica con le stesse risorse e tutele: coloro che vivono in povertà, in zone di conflitto o in contesti vulnerabili hanno minori possibilità di proteggersi e riprendersi dagli shock. L’India è il Paese con il numero più elevato di minori colpiti da questa doppia vulnerabilità, con circa 223 milioni di bambini coinvolti. Seguono Nigeria con 58 milioni e Etiopia con 36 milioni di minori che vivono sotto la soglia di povertà e subiscono l’impatto della crisi climatica. A livello globale, 183 milioni di bambini affrontano la triplice minaccia di rischio climatico, povertà e conflitti. I dati più allarmanti si registrano in Burundi (dove il 63% dei bambini è esposto a questo triplo carico), Afghanistan (55%) e Repubblica Centrafricana (41%). Per Save the Children, il cambiamento climatico, intrecciato con le crescenti disuguaglianze, costituisce un vero e proprio moltiplicatore di rischi, che erode la resilienza delle comunità e dei bambini stessi, esponendoli a crisi umanitarie sempre più frequenti e complesse e a un aumento significativo del costo della vita, che rende più difficile per le famiglie garantire ai bambini condizioni dignitose di crescita. Il rapporto è stato anche il risultato di una delle più grandi consultazioni globali, mai realizzate con l’infanzia: tra maggio e agosto 2022, oltre 54.000 bambini, adolescenti e giovani di 41 Paesi hanno partecipato a un’indagine sul cambiamento climatico e le disuguaglianze. In Italia, sono stati coinvolti più di 300 minori. I risultati confermano come le disuguaglianze aggravino l’emergenza climatica, colpendo in particolare le fasce più fra-

gili della popolazione [4]. Sia il General Comment n. 26 del Comitato ONU, sia il rapporto OMS, UNICEF e Lancet, sia la ricerca di Save the Children pongono l’attenzione non solo sul legame tra infanzia e crisi climatica, ma sottolineano anche, con forza, l’importanza di coinvolgere attivamente bambini e bambine nei processi decisionali che riguardano il loro futuro. Dalle grandi agende globali ai piccoli contesti locali, questa partecipazione assume forme diverse ma convergenti. Come ha dichiarato Kelley Toole, responsabile globale per i cambiamenti climatici di Save the Children: “Per i bambini che nascono oggi, la vita appare profondamente diversa da quella a cui erano abituati i loro genitori e nonni. Un futuro che risponda ai loro diritti, alla loro salute e alla loro sicurezza sembra sempre più irraggiungibile” [5].

Educazione ambientale e partecipazione infantile: una prospettiva per la pediatria contemporanea Nel quadro delle trasformazioni ambientali e climatiche in atto, l’educazione ambientale rappresenta una leva fondamentale per promuovere salute, consapevolezza ecologica e giustizia intergenerazionale. Tuttavia, perché sia realmente efficace, essa deve fondarsi su un approccio partecipativo che riconosca bambini e adolescenti non solo come destinatari di interventi, ma come soggetti attivi nella costruzione del sapere e nella cura dell’ambiente. Come evidenziato da Roger Hart nel suo volume Children’s Participation [6], la partecipazione è un diritto e, al contempo, una condizione essenziale per lo sviluppo psicosociale dei bambini e per il benessere delle comunità. Questa visione è oggi pienamente riconosciuta anche a livello internazionale: la Commissione OMS, UNICEF e Lancet [1] ha sottolineato il ruolo attivo dei bambini nella promozione della salute e della sostenibilità, mentre il General Comment n. 26 del Comitato ONU sui Diritti dell’Infanzia [2] afferma per la prima volta il diritto dei minori a un ambiente sano, esortando i governi a integrare la dimensione ecologica nelle politiche per l’infanzia e a sostenere le forme di attivismo giovanile. In questa direzione si muovono anche metodologie partecipative innovative, come il photovoice, i forum giovanili o le piattaforme digitali (es. U-Report), che valorizzano le espressioni dei bambini e offrono loro strumenti per contribuire alla progettazione di ambienti sani e inclusivi. Il photovoice è una metodologia partecipativa che utilizza la fotografia come strumento per permettere a bambini, adolescenti o gruppi marginalizzati di documentare la propria realtà, esprimere punti di vista e proporre cambiamenti. Attraverso immagini e narrazioni, i partecipanti riflettono sul proprio ambiente e condividono esperienze significative, stimolando il dialogo e contribuendo ai processi decisionali in modo attivo e creativo [7]. U-Report è una piattaforma digitale promossa da UNICEF che consente a bambini, adolescenti e giovani di esprimere opinioni su temi cruciali come salute, educazione e ambiente. Attraverso sondaggi via SMS o app di messaggistica, raccoglie dati in tempo reale, promuove la partecipazione civica e informa le politiche pubbliche, dando voce alle nuove generazioni su scala globale [8]. Tutto questo implica anche per la pediatria un salto di paradigma, ovvero riconoscere il bambino come co-protagonista del proprio percorso di salute, includendo nei programmi di promozione del benessere anche la dimensione ecologica e relazionale dell’ambiente. Favorire esperienze dirette nella natura, promuovere il pensiero critico e offrire spazi di ascolto reale significa rafforzare nei bambini il senso di autoefficacia e appartenenza, con ricadute positive sul piano fisico, emotivo e sociale, come diversi articoli della letteratura hanno evidenziato [9-10]. In un tempo in cui la crisi climatica impatta sempre più sulle condizioni di vita delle nuove generazioni, ascoltare la loro voce e includerla nei percorsi di salute pubblica è una responsabilità etica, clinica e politica.

L’associazione Matteo Chiesa: quando l’ambiente emerge attraverso le immagini e le parole dei ragazzi e delle ragazze

Fondata nel ricordo di Matteo Chiesa, giovane di 21 anni scomparso nel 2019 per una leucemia linfoblastica acuta, grande appassionato di natura e fotografia. L’Associazione che porta il suo nome promuove progetti di sensibilizzazione ambientale e supporto alle famiglie colpite da patologie onco-ematologiche [11]. Tra le iniziative più significative figura la mostra fotografica Noi siamo la natura, giunta alla quarta edizione, che coinvolge bambini e ragazzi fino ai 21 anni nella produzione di fotografie e pensieri sull’ambiente [Figura 1]. Ispirata alla metodologia del photovoice, la mostra raccoglie testimonianze autentiche sul rapporto tra giovani e natura, promuovendo uno sguardo partecipativo e consapevole verso le sfide ambientali. Nel 2024-25 l’esposizione è diventata itinerante, approdando nelle scuole e avendo un possibile futuro percorso educativo e informativo nei quartieri di Bergamo, grazie al supporto dell’Assessorato all’Ambiente. Un esempio virtuoso è l’esperienza vissuta dalla scuola primaria di Camerata Cornello, comune della Val Brembana in provincia di Bergamo: le fotografie sono state esposte nel giardino scolastico, permettendo ai bambini di osservare, scegliere e discutere le immagini in un contesto dialogico guidato da insegnanti, promotori dell’iniziativa e un pediatra. Il risultato è stato un intenso momento di educazione ambientale partecipativa, che ha rafforzato nei bambini il senso di responsabilità ecologica e l’appartenenza alla propria comunità. Un’iniziativa che mostra come educazione, sanità e territorio possano collaborare per promuovere salute e benessere integrato sin dalla prima infanzia.

Conclusione

Iniziative come la mostra Noi siamo la natura, promossa dall’Associazione Matteo Chiesa, rappresentano un modello replicabile di educazione ambientale partecipativa radicata nei territori. La loro forza risiede nella capacità di coniugare linguaggi espressivi vicini ai giovani – come la fotografia – con momenti di riflessione collettiva, che danno voce alle nuove generazioni e ne riconoscono il ruolo attivo nei processi decisionali. Questo approccio, sostenuto anche dal gruppo ACP “Pediatri per un mondo possibile” e da Isde – Medici per l’ambiente, dimostra come il coinvolgimento diretto, l’ascolto autentico dei bambini e degli adolescenti siano elementi fondamentali per costruire un’educazione ecologica trasformativa. Non basta parlare di ambiente: occorre creare esperienze concrete, inclusive e formative, come per esempio l’apiario didattico dell’associazione, che integra conoscenze scientifiche, cura della natura e apprendimento esperienziale [Figura 2]. Solo percorsi così strutturati possono radicare nei più giovani un senso di responsabilità ecologica e promuovere una cittadinanza attiva, capace di incidere sul presente e sul futuro del pianeta.

Pensieri e fotografie dei bambini/e e ragazze/i partecipanti alla IV edizione sono visibili sul sito del Garante cittadino per i diritti dell’Infanzia: https://bambiniegenitori.bergamo.it/files/ garante/Garante%20Venturelli%20diritti%20ONU%2020nov%20 %28002%29/presentazione%20garante%20NATURA-compresso.pdf

Bibliografia

1. Clark H, Coll-Seck AM, Banerjee A, et al. A future for the world’s children? A WHO-UNICEF-Lancet Commission. Lancet. 2020 Feb 22;395(10224):605-658.

2. Committee on the Rights of the Child. General Comment No. 26 (2023) on children’s rights and the environment with a special focus on climate change (CRC/C/GC/26). United Nations. https://www. ohchr.org/en/documents/general-comments-and-recommendations/crccgc26-general-comment-no-26-2023-childrens-rights

3. Save the Children & Vrije Universiteit Brussel. Nati in crisi climatica. Perché dobbiamo agire subito per proteggere i diritti dei bambini. Save the Children Italia, 2022.

4. Save the Children. Crisi climatica e disuguaglianze: un bambino su tre nel mondo affronta la doppia minaccia di povertà e shock climatici. https://www.savethechildren.it/press/crisi-climatica-e-disuaguaglianze-un-bambino-su-tre-nel-mondo-affronta-la-doppia-minaccia-di (20 novembre 2024).

5. Save the Children Italia. Caldo: oltre 11 milioni di bambine e bambini sono nati durante il mese più caldo mai registrato. https://www. savethechildren.it/press/caldo-oltre-11-milioni-di-bambine-e-bambini-sono-nati-durante-il-mese-piu-cado-mai-registrato (27 luglio 2023).

6. Hart RA. Children’s participation: The theory and practice of involving young citizens in community development and environmental care. Earthscan/UNICEF, 1997.

7. Wang C, Burris MA. Photovoice: Concept, methodology, and use for participatory needs assessment. Health Educ Behav. 1997 Jun;24(3):369-387.

8. UNICEF. U-Report: Amplifying youth voices for change. Retrieved from https://www.ureport.in/

9. Todesco L, Sapuppo AM, Toffol G. Verde nei luoghi di vita: i benefici per la salute. Quaderni acp. 2025;32:273-275.

10. Topaz S, Cassarino M, Foley S, Di Blasi Z. The natural world around me; a qualitative exploration of young people’s relationship to nature and how it relates to their wellbeing and feelings of pro-environmental behaviour. J Environ Psychol. 2025;103:102556.

11. https://www.associazionematteochiesa.com/associazione-matteo-chiesa.

Figura 2. Bambini in visita all’Apiario di Matteo.
Figura 1.

Familia

. L’orco in casa

Rubrica a cura di Italo Spada

Comitato per la Cinematografia dei Ragazzi di Roma

Familia

Regia: Francesco Costabile

Con: F. Gheghi, B. Ronchi, F. Di Leva, M. Cicalese, F. De Lucia, S. Valentini, T. Insolia

Italia, 2024

Durata: 124’

Familia, secondo film di Francesco Costabile, presentato e apprezzato nella sezione Orizzonti di Venezia 2024, ai Nastri d’Argento, ai David di Donatello 2025 e selezionato per rappresentare l’Italia ai Premi Oscar 2026, è un test con una sola domanda: “E tu che cosa avresti fatto al posto suo?”

Immagino le perplessità, il silenzio imbarazzante, le alzate di spalle, i gesti e le due risposte più ricorrenti: “Non saprei” e “Ringrazio Dio di non essermi trovato in quelle condizioni”.

Qualcuno potrebbe tentare di minimizzare con “Meno male che si tratta solo di un film”, ma la scappatoia non funziona, perché si scopre che la sceneggiatura (anche se parzialmente riadattata) è tratta dal libro autobiografico Non sarà sempre così di Luigi Celeste che, nel 2008, uccise suo padre. Come dire che dal cinema dobbiamo spostarci in un’aula di tribunale per sentire varie voci e dire la nostra su uno dei tanti fatti di cronaca nera che, purtroppo, continuano a rimbombare nei mezzi di comunicazione di massa.

Riassumiamo la trama. Franco Celeste è un uomo violento che picchia la moglie Licia e terrorizza i piccoli Alessandro e Luigi. Per una rapina finita male finisce in carcere e disgrega l’intera famiglia: la moglie lo denuncia, chiede la sua cancellazione dallo stato di famiglia, subisce l’allontanamento dei figli. Dopo dieci anni, scontata la pena, Franco esce dal carcere, veste i panni del figliol prodigo e, rivendicando il diritto di paternità, riesce a reinserirsi nella vita dei suoi. Licia spera che la sua conversione sia vera, ma le apparenze ingannano. Franco ritorna “orco di casa” e la Familia ripiomba nel terrore. Alessandro e Luigi, però, non sono più i due bambini che, quando sentivano provenire “i rumori” dalla stanza dei genitori, si nascondevano e si tappavano le orecchie a vicenda. Soprattutto Luigi ha preso da tempo una brutta piega e non riesce a seguire l’esempio del più ragionevole fratello Alessandro: rincasa tardi, frequenta skinhead di estrema destra, partecipa a spedizioni punitive, accoltella un dimostrante rivale, finisce in carcere, sconta la pena, stenta a portare avanti una storia d’amore. Quando i “rumori” diventano botte e strangolamenti e Licia sembra essersi definitivamente arresa alla violenza del suo persecutore, Luigi si oppone. Dalle parole ai fatti il passo è breve e il dramma sfocia in tragedia. Difficile vedere in Familia solo un film. Regia, interpretazioni, scenografia, montaggio, colonna sonora, ecc. passano in secondo ordine. Quello che resta impresso negli spettatori è il parricidio, visto come unica soluzione per eliminare un incubo famigliare.

Sofocle, nel 400 a.C., aveva fatto del suo Edipo un parricida involontario che, scoperta la verità, si acceca, perde il titolo di re e va in esilio; Dostoevskij nei Fratelli Karamazov addossa la colpa dell’uccisone del capofamiglia Fëdor al figlio Dmitrij, il più grande. Storie che abbiamo letto con un certo distacco perché le abbiamo catalogate come frutto di fantasia sfociato in tragedie e romanzi ben lontani da noi. Sapere che la famiglia Celeste non abita nell’antica Grecia o nella Russia di fine Ottocento ed è esistita veramente (nell’entroterra montuoso del Sud Italia o nella periferia romana, come modificato nella sceneggiatura, poco importa) fa un altro effetto. E quella domanda che ci siamo posti all’inizio, diventa la prima di una lunga serie: “Come può, un uomo, chiamarsi marito e padre scaricando sulla moglie e sui figli tutta la rabbia bestiale che cova dentro? Perché le istituzioni latitano o tardano a intervenire quando si denunciano certi soprusi? Solo con la violenza ci si libera della violenza? Non esiste un percorso di rinascita per chi è precipitato nel baratro? Come si può evadere dall’interno delle mura domestiche quando il patriarcato diventa tirannia? Come condannare una donna che, per salvare i suoi figli e sé stessa, non ha il coraggio di dire alla polizia che suo marito la picchia?”

Domande imbarazzanti alle quali, almeno per quanto mi riguarda, risponderei come già detto: “Non saprei” e “Ringrazio Dio di non essermi trovato in quelle condizioni”. Impossibile vestire i panni del giudice, ma non possiamo tapparci le orecchie e dichiararci del tutto estranei sentendo quello che, in diverse occasioni, ha detto Luigi Celeste, imputato numero uno: “Avevo 23 anni quando ho ucciso mio padre e solo 10 quando il tribunale lo allontanò da casa perché violento. […] Il riscatto lo devo solamente a me stesso. Non alle istituzioni che mi hanno abbandonato per rinfacciarmi a ogni occasione il mio passato. Credetemi, nessuno abbraccia l’odio volontariamente, la vita dipende dal contesto in cui nasci, dalla fortuna, da quella mano a cui vorresti aggrapparti quando stai per cadere e purtroppo, troppo spesso, nessuno ti dà. […] Vedere il film è stato un trauma forte. […] Per noi non è durato solo due ore (come la lunghezza del film) ma un anno intero”.

Parole che vanno sommate a quelle del regista: “È una storia che ritroviamo nella cronaca e nella realtà di tutti i giorni, ma spesso ridotta a nomi, numeri e date, a una morbosità che non racconta mai veramente le vittime. Il nostro film è anche un atto di denuncia, un monito per le autorità ad ascoltare e intervenire a ogni minimo segnale. Perché spesso le denunce e le segnalazioni finiscono nel pantano burocratico”.

In un processo del genere è una fortuna non fare parte della giuria e dover necessariamente pronunciare un verdetto. Familia non è un thriller, ma un film di denuncia che lascia un barlume di speranza. Per questo, si consiglia di soffermarsi qualche secondo in più oltre la sequenza finale – che, in soggettiva di Luigi, ci suggerisce il muto grazie della madre e del fratello e il ricordo di un’infanzia sfuggita troppo in fretta –ed esalare un respiro di sollievo leggendo, in didascalia: “Luigi Celeste, durante la detenzione riprende gli studi, si specializza in sicurezza informatica. Oggi vive all’estero e lavora per una multinazionale. Gigi è un uomo libero e sogna di diventare padre”.

Libri

Occasioni per una buona lettura

La donna dal cappotto verde di Edith Bruck

La nave di Teseo, 2025, pp. 128, € 15

Perché i professionisti sanitari dovrebbero leggerlo. Qualche anno fa un’amica e collega, di poco più giovane di Edith Bruck, fortunosamente scampata ai rastrellamenti e alla deportazione che aveva decimato ad Auschwitz una parte della sua famiglia, era stata sottoposta ormai anziana a un intervento chirurgico. Raccontò poi che nel torpore postanestesia aveva vissuto dei momenti terribili: uomini delle SS erano fuori dalla stanza e da lì a poco sarebbero entrati e l’avrebbero portata via come i suoi cugini. Un’angoscia insopprimibile che fortunatamente andò gradatamente scemando, permettendole di ricollocare quello che aveva vissuto nella rievocazione del trauma persecutorio che l’aveva segnata da bambina in fuga. Con questa dimensione aveva fatto i conti faticosamente nel corso degli anni, studiandola e scrivendone. Edith Bruck è stata costretta a misurarsi con l’esperienza ancora più devastante della deportazione e della quotidianità del campo di sterminio. Preservare e coltivare la memoria è stata la sua risposta alla disumanizzazione vissuta in prima persona, ma senza cadere nel tranello di disumanizzare i persecutori: uomini e donne in ogni caso, pur capaci di cose indicibili. Rinunciando a giudicare aguzzini e kapò, come voleva anche il suo grande amico Primo Levi. L’incontro casuale con una delle Kapò di Auschwitz, la donna dal cappotto verde del romanzo, che la riconosce e chiama per nome, non può tuttavia non riattualizzare emotivamente l’esperienza traumatica e rinnovare il fantasma della configurazione relazionale perversa e angosciante in cui la vita del campo aveva intrappolato vittime e persecutori. E la sua salute fisica subisce un duro colpo. Il processo di disumanizzazione è ciò che permette all’aguzzino di infierire sulla vittima e in qualche modo sopravvivere psichicamente. L’esperienza di una relazione umana, anche di un solo istante in cui non si è più un numero, uno sguardo particolare, pochi attimi a cui aggrapparsi anche in quell’inferno, è ciò che permette alle vittime di sopravvivere come persone. Silvia Amati Sas, coetanea di Edith Bruck, che si è occupata da psicoanalista delle vittime di tortura da parte delle dittature dell’America Latina, scrive che la vittima è in una dimensione di totale dipendenza dal suo oppressore, che dispone della sua vita e della sua morte, del suo corpo. Colonizza anche la sua mente, a meno che, in qualche rifugio segreto di questa, la vittima non trovi un angolo di umanità che riesce a preservare, “qualcosa da salvare”. In sé stessa, nei propri affetti, o addirittura nei persecutori, qualcosa che le permetterà di sopravvivere almeno psichicamente. Pur con origini diverse, non è diversa la condizione di dipendenza in cui proietta la malattia. L’esperienza di dipendenza ancor

più radicale dalle manovre altrui negli interventi chirurgici e nelle pratiche della medicina d’urgenza, sono uno degli elementi che accomunano e su cui ruotano sia la storia accennata all’inizio sia una parte corposa del libro. Edith Bruck trascina il lettore in una sconvolgente esperienza di ricovero in ospedale dove assieme alla qualità dell’assistenza sembra ormai smarrita ogni umanità, tanto più angosciante quanto ci appare ordinaria e purtroppo accettata. Essere alla mercé dell’altro riattualizza la dimensione di totale impotenza originaria di ogni essere umano, dove la sopravvivenza dipende dalla protezione di chi ha intorno, protezione su cui fin dai primi momenti della vita si costruisce la fiducia. Come professionisti della cura siamo investiti di un bisogno di protezione pari alla dimensione di impotenza in cui si trova chi viene affidato alle nostre cure. Dentro di sé il paziente, in un angolo più o meno segreto della mente, conta non solo sulla nostra capacità di protezione tecnica, ma anche sulla nostra preoccupazione per lui, e cerca di preservarla per poter avere fiducia. Per non dimenticarcelo dovremmo aggiungere alle nostre letture sulle Medical Humanities anche questo libro. (Bibliografia: Amati Sas S. Ambiguità, conformismo e adattamento alla violenza sociale. Franco Angeli, 2020; Levi P. I sommersi e i salvati. Einaudi, 1986; Spinsanti S. Una diversa fiducia. Il Pensiero Scientifico, 2022).

Leonardo Speri

Il gelso di Gerusalemme

L’altra storia raccontata dagli alberi di Paola Caridi

Feltriinelli, 2025, pp. 160, € 14,45

Questa è una narrazione che si dipana attraverso gli alberi, testimoni della storia di noi umani, alberi diversi che raccontano la nostra e la loro storia. Alberi e anche giardini botanici, per lo più del Medio Oriente e del Mediterraneo, che sono sopravvissuti alle guerre, che sono stati agorà ombrose sotto le quali discutere di pace e di comunità, ma anche vittime e testimoni di momenti cruciali e dolorosi del mondo. Dal gelso di Gerusalemme, agli aranci di Jaffa e agli ulivi di Betlemme, ai sicomori e ai ficus, Paola Caridi racconta attraverso gli alberi la storia di questa parte del mondo. Non solo storie politiche, vicende economiche che hanno poi consolidato e dato via a guerre, ma anche storie personali ed eventi tragici che hanno poi segnato i percorsi dolorosi di alcuni popoli, che ancora oggi sono alla ricerca forzata e tragica di un luogo. Ho letto questo libro, che mi è stato segnalato dal Festival di Peccioli (PI) dei libri non fiction, con curioso interesse rispetto a una storia vista da una prospettiva diversa, quella della natura. Sono tutte storie di uomini, donne e bambini raccontate “per provare a ritrovare la lingua perduta degli alberi” scrive Paola Caridi, perché gli alberi oltre a essere testimoni con la loro presenza, lo sono stati e lo sono ancora con la loro assenza, che ha cambiato il volto dei territori, ha creato confini, ha anche contribuito, per opera di noi umani, a stravolgere i paesaggi e a creare luoghi innaturalmente sfruttati. Una lettura per me affascinante, una scrittura che evoca immagini di un tempo ma anche quelle di un futuro che riserva tutta la nostra attenzione e cura nei confronti della natura ormai diventata oggetto di sfruttamenti intensivi da parte nostra per puri fini economici, e questo emerge anche dalla storia degli alberi nuovi che hanno sostituito quelli di un tempo, forse attraverso le vecchie

radici ancora in parte vitali che contribuiscono oggi alla loro crescita e memoria.

Gli Anni di Annie Ernaux L’orma, 2015, pp. 300, € 18

La lezione del Giappone

Il paese che anticipa le sfide dell’Occidente di Federico Rampini Mondadori, 2025, pp. 326, € 20

L’autore inizia il libro con una doppia domanda: “Voi ne siete appena tornati? O state per partire?” Appartengo alla prima categoria e per questo motivo ho subito acquistato il libro per capire qualcosa di più di un Paese che mi ha affascinato, ma anche mi ha fatto capire quanto sia difficile comprenderlo a fondo. Consiglio la lettura a tutti, indipendentemente dall’esperienza personale. L’overtourism è ormai un dato di fatto e il rispetto del silenzio giapponese a forte rischio. Rampini aiuta il lettore a entrare in questo mondo che potrebbe insegnarci qualcosa per come è rinato dopo Hiroshima e Nagasaki. Vale la pena spendere qualche considerazione sul “soft power” nipponico. La letteratura e il cinema sono esempi formidabili di questa cultura che si esprime anche con i manga e gli anime. Mi piace sottolineare come la cifra del basso profilo sia sempre una loro caratteristica che ne connota il modo di vivere. L’autore sostiene che il Giappone potrebbe essere d’aiuto per capire il fenomeno della denatalità, della decrescita demografica e dell’invecchiamento della popolazione. Aggiungo che anche dal punto di vista della coesione sociale può insegnarci molto in particolare dal punto di vista della cultura del servizio e dell’etica del lavoro, pur senza scadere nel fanatismo. Le stazioni degli Shinkansen (treni ad alta velocità inaugurati con le Olimpiadi del 1964!) sono uno specchio della loro civiltà. Non mancano le analisi geopolitiche e in particolare geoeconomiche che aiutano a capire meglio i complicati rapporti con Cina, Corea del Sud, India e Sud-Est asiatico, senza trascurare gli Stati Uniti. Il libro sfata alcuni pregiudizi europei nei confronti del Paese del Sol Levante che merita un approccio meno stereotipato che vada al di là di Samurai, Geishe e Yakuza. Un altro lato molto interessante è la spiritualità del Paese che non si confina in un solo credo religioso: shintoismo e buddhismo convivono senza problemi. La bellezza dei giardini giapponesi esprime l’attenzione rivolta all’ambiente che si ritrova in ogni tipo di paesaggio. L’esperienza del cibo in Giappone è un viaggio nel viaggio che rende giustizia alla raffinatezza ed eleganza dei loro pasti. Ho intrecciato le mie sensazioni con il contenuto del libro, da leggere al ritorno dal viaggio o prima di partire. Michele Gangemi

Gli Anni è una “autobiografia impersonale”. La scrittrice descrive più volte la forma del testo – il romanzo è scritto in terza persona, la protagonista è “lei” – e lo spirito che lo anima: “una immersione nelle immagini della sua memoria, per esporre in dettaglio i segnali specifici dell’epoca, dell’anno, più o meno certo, nel quale esse si situano, e per sforzarsi di riascoltare le parole delle persone, quel vociare che apporta senza tregua le continue formulazioni di ciò che siamo e dobbiamo essere, pensare, credere, temere, sperare. Di ciò che il mondo ha impresso in lei e nei suoi contemporanei se ne servirà per ricostruire un tempo comune, quello che è trascorso da un’epoca lontana sino a oggi – per restituire, ritrovando la memoria della memoria collettiva in una memoria individuale, la dimensione vissuta della Storia”. Ci potrà mai essere una definizione più bella degli anni? Il libro inizia con la frase “Tutte le immagini scompariranno” e da qui un lungo elenco di immagini e avvenimenti che possono evocare un ricordo individuale e collettivo, per lei. Le fotografie usate per narrare l’arco del tempo che si snoda dagli anni ’40 al 2005 sono immagini seppia, poi via via in bianco e nero e a colori, fino alle immagini che oggi tutti abbiamo sugli schermi. La vita personale accade mentre accade il dopoguerra, il ’68, la rivoluzione dei costumi, l’emancipazione femminile, le elezioni dei presidenti, gli scioperi, i cortei, gli eventi tragici, le Torri gemelle, la morte del papa e in questi eventi si inscrivono i propri, gli studi, il lavoro, il matrimonio, la maternità, i figli, il divorzio, la pensione, il desiderio di un’altra vita e finalmente la scrittura. Ci sono due fil rouge che dipanano la narrazione: i consumi di massa e i pranzi della domenica. La società dei consumi cambia e gestisce i nostri desideri, e l’ambiente in cui si svolgono le nostre vite attraverso gli oggetti che ci circondano e che usiamo. I pranzi della domenica cambiano negli anni, nella frequenza, nelle presenze, nei discorsi, negli atteggiamenti, nei cibi e nelle bevande che mettiamo sulle tavole; ciò che non cambia è il prendersi cura, l’accudimento. Ciascuno di noi si ritrova in questo racconto, sa quanto la propria storia sia fatta di questo insieme di collettivo e individuale, la difficoltà di crescere, maturare, affermare se stessi, ha visto il rarefarsi dei pranzi di famiglia, la vita altrove dei propri affetti e dei propri figli. Ciascuno di noi sa che le immagini scompariranno, ma Annie Ernaux possiede l’arte di scrivere di tutto questo in modo contemporaneo e bellissimo. È stata premio Nobel nel 2022. Maria Francesca Siracusano

Lettere

Un confronto sul fine vita dei bambini

La lettura dell’articolo Pietas o cinismo in Quaderni acp (2015;5:207-208) mi ha fatto riflettere su come le scelte etiche non riguardino solo chi è malato ma anche chi lo accompagna fino alla fine.

La medicina può alleviare il dolore, ma il confine tra cura e accanimento terapeutico resta sottile e faticoso da percorrere. Qui di seguito raccontiamo la storia di una paziente che può aprire un confronto su questo delicato argomento.

“Padre, se vuoi, allontana da me questo calice!”, Luca 22.42. Giulia ha 13 anni, è bella, brava, intelligente, sportiva. Una vincente!

“Nulla ti può fermare”, pensavamo tutti.

Ma il 25 novembre 2024 si manifesta un male improvviso. La diagnosi è inequivocabile e stroncante. Mesi di pesanti terapie e demolizioni.

Ma lei non molla. Con determinazione prepara una tesina che le permette di superare brillantemente gli esami e di accedere al liceo.

È pronta per l’inizio della scuola e ha anche letto i libri consigliati dai nuovi docenti. Ma la patologia le toglie la voce e la possibilità di poter assaporare anche un sorso d’acqua. 25 settembre 2025. La malattia è inarrestabile. La mamma ci scrive: “Per l’impossibilità del controllo del dolore è stata intrapresa la via della sedazione profonda. Quindi dormirà sempre di più. Non ci hanno dato più di due settimane di sopravvivenza. Abbiamo scelto di tenerla a casa”.

A domicilio la vegliano i genitori e un fratello di 15 anni.

Ma la realtà non rispetta le previsioni. Le capacità vitali e gli organi di un’adolescente sportiva, con un fisico forte e sano prima del tumore, non cedono. La sedazione profonda e il calvario straziante della famiglia durano ben 36 giorni. Quanta angoscia, quanti giorni e notti di sofferenza per chi

la ama, ma non ha più alcuna speranza. Possiamo considerarlo giusto?

Ambrogina Pirola, pediatria di gruppo, Muggiò (MB) Sigi Petrela, medico in formazione specialistica in pediatria, Università Milano-Bicocca

Un grande grazie alla collega Pirola per aver raccolto l’invito di aprire un confronto sulla rivista in merito al fine vita nei bambini e nelle bambine con malattie inguaribili e con sofferenza non controllata e insopportabile. Non eravamo sicuri che sarebbe stato raccolto, è un tema che disturba. Nel nostro articolo abbiamo sottolineato come il “migliore interesse del bambino e della bambina” e la “condizione di sofferenza intrattabile” siano i fattori che portano alla decisione di considerare la morte come l’inevitabile e unica soluzione alle sofferenze dei bambini con malattia inguaribile. La sedazione palliativa profonda e continua è lo strumento che nel nostro Paese è permesso per questo scopo. L’eutanasia invece è un reato penale ed è rifiutata categoricamente anche dal codice deontologico. Il caso che riporti mostra come la “sofferenza totale” di cui si parla nell’articolo non sia solo dei bambini, ma investa dolorosamente tutte le persone che li amano, che li assistono e che soffrono per la loro fine. Giustamente ti poni il problema, a fronte di una fine ormai prevista e inevitabile, se sia giusto ed etico prolungare la sofferenza di genitori, fratelli, nonni e di chi vuole bene oltre a quella dei bambini fortunatamente incoscienti perché sedati. La durata della sopravvivenza in corso di sedazione profonda è legata a molti fattori come malattia di base, comorbilità, stato generale di salute, ecc. e, nel caso che riporti, un corpo di base giovane e forte, ma destinato a spegnersi, ha portato al prolungamento dell’agonia. I bambini hanno spesso un organismo trofico, in crescita e capace di resistere più di un adulto o un anziano. Quindi parliamone, discutiamo e portiamo a galla i nostri dubbi, le nostre esperienze, i nostri condizionamenti, le nostre convinzioni. Se altri sono disposti a confrontarsi, come hai fatto tu, e sono anche disposti a mettere in discussione il proprio profondo sentire, i propri condizionamenti, la propria cultura etica si farà un importante passo avanti nel liberare la pediatria da molte sovrastrutture condizionanti il nostro agire e sentire.

Patrizia Elli, Francesco Morandi, Mario Renato Rossi, gruppo di lavoro ACP “Dolore e CPP”

SAVE THE DATE

38° Congresso Nazionale dell’Associazione Culturale Pediatri A.P.S. Roma, Istituto Superiore di Sanità – Aula Pocchiari 5–6 novembre 2026

www.acp.it

L’Associazione Culturale Pediatri A.P.S. è lieta di annunciare che il 38° Congresso Nazionale ACP si terrà a Roma, presso la prestigiosa sede dell’ Istituto Superiore di Sanità, che ringraziamo per aver accolto la nostra richiesta di ospitare le giornate congressuali. Una sede di grande valore simbolico e scientifico, che rappresenta un importante riconoscimento per il percorso culturale e professionale che da sempre contraddistingue l’ACP.

Il Congresso affronterà temi centrali per la pediatria contemporanea, tra cui: – promozione dell’allattamento e prevenzione delle malattie croniche, – salute mentale e adolescenza, – dermatologia pediatrica, – dolore, abuso e tutela del minore, – ambiente e salute, – formazione, specializzandi e confronto clinico.

Seguiranno a breve il programma dettagliato e tutte le informazioni organizzative.

Vi invitiamo fin d’ora ad annotare le date in agenda.

Siamo lieti di condividere con voi un risultato importante per la nostra Associazione.

Il 3 dicembre 2025, a un anno esatto dall’avvio del percorso di trasformazione, abbiamo completato la costituzione dell’ACP come Associazione di Promozione

Sociale (APS) e ottenuto l’iscrizione al Registro Unico Nazionale del Terzo

Settore (RUNTS). Un traguardo che rafforza la nostra identità e il nostro impegno nel promuovere una cultura pediatrica attenta ai diritti, alla salute e al benessere di bambine, bambini e adolescenti.

Ognuno di voi, con la propria adesione all’ACP, ha contribuito a far crescere un progetto iniziato 52 anni fa e che continua oggi con rinnovato slancio.

Da quest’anno sarà inoltre possibile sostenere l’Associazione anche tramite il 5×1000, uno strumento prezioso per consolidare le nostre attività.

Grazie a tutte e tutti voi!

Bimonthly magazine of Associazione Culturale Pediatri xxxiii, 1, January-February 2026 redazione@quaderniacp.it

Editorial

1 14 years later

Michele Gangemi

Research letter

2 Oral presentations at the 37th ACP national congress “ACP next generations: there is still tomorrow”

Learning from a case

10 Thrombocytopenia in children: diagnostic challenges beyond the boundaries of immune thrombocytopenia

Angela Iannicelli, Marta Giovengo, Diletta Iannaccone, Olga Lausi, Giuliana Beneduce, Giovanna Giagnuolo, Giuseppe Menna

Appraisals

14 Overview and management of the dehydrated child

Davide Pace, Giovanna La Fauci, Pierantonio Santuz

Focus

20 How to explain Nirsevimab to parents. A practical guide for clinicians to communicate numbers, risks, and benefits effectively

Luca Iaboli, Adriano Cattaneo

23 Commentary on the article How to explain Nirsevimab to parents. A practical guide for clinicians to communicate numbers, risks, and benefits effectively

Massimo Farneti

24 Impact of immunization with Nirsevimab in primary care: data produced by SiMPeF family pediatricians in the Lombardy Region

Giovanna Sersale, Ines L’Erario, Fabiola Dell’Acqua, Lorenza Matarazzo, Lucia Di Maio, Luigi Greco, Massimiliano Dozzi, Roberto Buzzetti, Monica de’ Angelis

Mental health

29 Phonetic development in children with typical profile aged 24-47 months

Serena Bonifacio, Marta Motterle, Maria Palmieri, Claudio Zmarich

Via Filippo Garavetti 12 07100 Sassari (SS) www.acp.it

History and ethics of medicine

33 The “arcuccio” and infant sleep safety: historical evolution and contemporary recommendations Giancarlo Cerasoli, Nicolò Nicoli Aldini, Sara Patuzzo Manzati

Around narration

37 Pediatrician is a difficult job: “If the heart calls... the bladder replies” Catherine Hamon, Francesco Ciotti, Micaela Bucci, Giancarlo Cerasoli, Mila Degli Angeli, Nadia Foschi, Marna Mambelli, Antonella Stazzoni, Francesca Vaienti, Isabella Penazzi, Chiara Bussetti

39 The family as a protective shell: words, silences and bonds in the time of care Anna Santini

Environment and health

42 “We are Nature”: the role of paediatricians in participatory environmental education Vincenza Briscioli, Leonello Venturelli

45 Movies

46 Books

48 Letters

Come iscriversi o rinnovare l’iscrizione all’ACP

La quota d’iscrizione per l’anno 2026 è di 130 euro per i medici, 30 euro per gli specializzandi, 30 euro per il personale sanitario non medico e per i non sanitari. Il versamento può essere effettuato attraverso una delle modalità indicate sul sito www.acp.it alla pagina «Come iscriversi».

Se ci si iscrive per la prima volta occorre compilare il modulo per la richiesta di adesione e seguire le istruzioni in esso contenute, oltre a effettuare il versamento della quota come sopra indicato.

Gli iscritti all’ACP hanno diritto a ricevere la rivista bimestrale Quaderni acp, le pagine elettroniche di Quaderni acp e la newsletter mensile Appunti di viaggio. Hanno anche diritto a uno sconto sulla quota di abbonamento a Medico e Bambino; a uno sconto del 50% per l’abbonamento alla rivista Epidemiologia & Prevenzione; a uno sconto sull’abbonamento a Uppa (se il pagamento viene effettuato contestualmente all’iscrizione all’ACP).

Gli iscritti possono usufruire di iniziative di aggiornamento e formazione a quota agevolata. Potranno anche partecipare ai gruppi di lavoro dell’Associazione.

Maggiori informazioni sono disponibili sul sito www.acp.it.

Turn static files into dynamic content formats.

Create a flipbook