Clinical Practice and Cases Emergency Medicine Volume 7 Issue 1

Page 1

Clinical Practice and Cases in Emergency Medicine

In Collaboration with the Western Journal of Emergency Medicine

Clinicopathological Cases from the University of Maryland

1 45-year-old Male with Bilateral Lower Extremity Wounds, Swelling, and Rash Sajak CM, Semelrath KM, Bontempo LJ, Windsor TA

Case Reports

7 A Benign Mimic of Dangerous Neck Pathology: A Case Report of Longus Colli Calcific Tendonitis

Volino A, Smith S

11 Bilateral Tubal Pregnancies Presenting 11 Days Apart: A Case Report Farshidpour LS, Vinson DR, Durant EJ

16 Mysterious Pelvic Hematoma in a Patient Who Speaks a Rare Ethiopian Dialect: A Case Report

Eziolisa O, Chapman J

20 Rare Adult-onset Citrullinemia Type 1 in the Postpartum Period: A Case Report Borsuk M, Saab M, Tobin M

24 A Rare Cause of Headache and an Unorthodox Transfer: A Case Report Burleson SL, Butler J, Gostigian G, Parr MS, Kelly MP

29 Emergency Department Treatment Provides Immediate and Durable Relief Following Vaccine Injury: A Case Report

Rowh A, Rowh M, Goodman M

33 A Case Report of Ruptured Popliteal Aneurysm in the Setting of Blunt Trauma Lonzanida JAJ, Love BE, Anderson BL

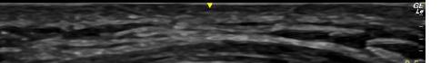
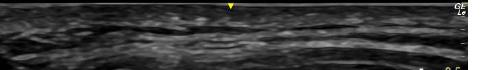
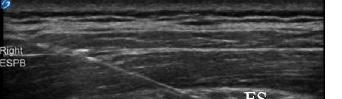
36 Bilateral Erector Spinae Plane Block for Man o’ War Stings: A Case Report Weber L, Shalaby M

Contents continued on page iii

Volume 7,
February 2023 Open Access at www.cpcem.org ISSN: 2474-252X A Peer-Reviewed, International Professional Journal
Number 1,
Clinical Practice and Cases in Emergency Medicine VOLUME 7 ISSUE 1 February 2023 PAGES 1-53
SPRING SEMINAR 2023 April 1-5, 2023 Hilton Phoenix Tapatio Cliffs Resort Phoenix, AZ www.acoep.org #ACOEP23 SAVE THE DATE

Clinical Practice and Cases in Emergency Medicine

Rick A. McPheeters, DO, Editor-in-Chief

Kern Medical/UCLA- Bakersfield, California

R. Gentry Wilkerson, MD, Deputy Editor University of Maryland School of Medicine

Mark I. Langdorf, MD, MHPE, Senior Associate Editor

University of California, Irvine School of Medicine- Irvine, California

Shahram Lotfipour, MD, MPH, Senior Associate Editor

University of California, Irvine School of Medicine- Irvine, California

Shadi Lahham, MD, MS, Associate Editor

Kaiser Permanente- Orange County, California

Manish Amin, DO, Associate Editor

Kern Medical/UCLA- Bakersfield, California

John Ashurst, DO, Decision Editor/ ACOEP Guest Editor Kingman Regional Health Network, Arizona

Anna McFarlin, MD, Decision Editor

Louisiana State University Health Science Center- New Orleans, Louisiana

Liv Libet, MD, Decision Editor Kern Medical/UCLA- Bakersfield, California

Amin A. Kazzi, MD, MAAEM

The American University of Beirut, Beirut, Lebanon

Anwar Al-Awadhi, MD

Mubarak Al-Kabeer Hospital, Jabriya, Kuwait

Arif A. Cevik, MD

United Arab Emirates University College of Medicine and Health Sciences, Al Ain, United Arab Emirates

Abhinandan A.Desai, MD University of Bombay Grant Medical College, Bombay, India

Bandr Mzahim, MD

King Fahad Medical City, Riyadh, Saudi Arabia

Barry E. Brenner, MD, MPH

Case Western Reserve University

Brent King, MD, MMM University of Texas, Houston

Daniel J. Dire, MD University of Texas Health Sciences Center San Antonio

David F.M. Brown, MD Massachusetts General Hospital/Harvard Medical School

Amal Khalil, MBA

Edward Michelson, MD Texas Tech University

Edward Panacek, MD, MPH University of South Alabama

Editorial Board

Erik D. Barton, MD, MBA Icahn School of Medicine, Mount Sinai, New York

Francesco Dellacorte, MD

Azienda Ospedaliera Universitaria “Maggiore della Carità,” Novara, Italy

Francis Counselman, MD Eastern Virginia Medical School

Gayle Galleta, MD

Sørlandet Sykehus HF, Akershus Universitetssykehus, Lorenskog, Norway

Hjalti Björnsson, MD Icelandic Society of Emergency Medicine

Jacob (Kobi) Peleg, PhD, MPH Tel-Aviv University, Tel-Aviv, Israel

Jonathan Olshaker, MD Boston University

Katsuhiro Kanemaru, MD University of Miyazaki Hospital, Miyazaki, Japan

Christopher Sampson, MD, Decision Editor University of Missouri- Columbia, Missouri

Joel Moll, MD, Decision Editor

Virginia Commonwealth University School of Medicine- Richmond, Virginia

Steven Walsh, MD, Decision Editor Einstein Medical Center Philadelphia-Philadelphia, Pennsylvania

Melanie Heniff, MD, JD, Decision Editor University of Indiana School of Medicine- Indianapolis, Indiana

Austin Smith, MD, Decision Editor Vanderbilt University Medical Center-Nashville, Tennessee

Rachel A. Lindor, MD, JD, Decision Editor Mayo Clinic College of Medicine and Science

Jacqueline K. Le, MD, Decision Editor Desert Regional Medical Center

Christopher San Miguel, MD, Decision Editor Ohio State Univesity Wexner Medical Center

Robert Suter, DO, MHA UT Southwestern Medical Center

Khrongwong Musikatavorn, MD King Chulalongkorn Memorial Hospital, Chulalongkorn University, Bangkok, Thailand

Leslie Zun, MD, MBA Chicago Medical School

Linda S. Murphy, MLIS University of California, Irvine School of Medicine Librarian

Nadeem Qureshi, MD St. Louis University, USA

Emirates Society of Emergency Medicine, United Arab Emirates

Niels K. Rathlev, MD Tufts University School of Medicine

Pablo Aguilera Fuenzalida, MD Pontificia Universidad Catolica de Chile, Región Metropolitana, Chile

Peter A. Bell, DO, MBA Baptist Health Science University

Peter Sokolove, MD University of California, San Francisco

Robert M. Rodriguez, MD University of California, San Francisco

Robert W. Derlet, MD University of California, Davis

Rosidah Ibrahim, MD Hospital Serdang, Selangor, Malaysia

Samuel J. Stratton, MD, MPH Orange County, CA, EMS Agency

Scott Rudkin, MD, MBA

University of California, Irvine

Scott Zeller, MD University of California, Riverside

Steven Gabaeff, MD Clinical Forensic Medicine

Steven H. Lim, MD Changi General Hospital, Simei, Singapore

Terry Mulligan, DO, MPH, FIFEM

ACEP Ambassador to the Netherlands Society of Emergency Physicians

Vijay Gautam, MBBS

University of London, London, England

Wirachin Hoonpongsimanont, MD, MSBATS Siriraj Hospital, Mahidol University, Bangkok, Thailand

Editorial Staff Advisory Board

UC Irvine Health School of Medicine

Elena Lopez-Gusman, JD California ACEP

American College of Emergency Physicians

Adam Levy, BS

American College of Osteopathic Emergency Physicians

John B. Christensen, MD California Chapter Division of AAEM

Randy Young, MD

California ACEP

American College of Emergency Physicians

Mark I. Langdorf, MD, MHPE

UC Irvine Health School of Medicine

Jorge Fernandez, MD

California ACEP

American College of Emergency Physicians University of California, San Diego

Peter A. Bell, DO, MBA

American College of Osteopathic Emergency Physicians

Baptist Health Science University

Robert Suter, DO, MHA

American College of Osteopathic Emergency Physicians UT Southwestern Medical Center

Shahram Lotfipour, MD, MPH

UC Irvine Health School of Medicine

Brian Potts, MD, MBA

California Chapter Division of AAEM

Alta Bates Summit-Berkeley Campus

Isabelle Nepomuceno, BS Executive Editorial Director

Anuki Edirimuni, BS and Visha Bajaria, BS WestJEM Editorial Director

Zaynab Ketana, BS CPC-EM Editorial Director Associate Marketing Director

Stephanie Burmeister, MLIS WestJEM Staff Liaison

June Casey, BA Copy Editor

Cassandra Saucedo, MS Executive Publishing Director

Jordan Lam, BS WestJEM Publishing Director

Rubina Rafi, BS CPC-EM Publishing Director

Avni Agarwal, BS

CPC-EM Associate Publishing Director Associate Marketing Director

Anthony Hoang, BS WestJEM Associate Publishing Director

Volume 7, no. 1: February 2023 i Clinical Practice and Cases in Emergency Medicine
Indexed in PubMed and full text in PubMed Central Available in MEDLINE, PubMed, PubMed Central, Google Scholar, eScholarship, DOAJ, and OASPA. Editorial and Publishing Office: WestJEM/Depatment of Emergency Medicine, UC Irvine Health, 333 City Blvd, West, Rt 128-01, Orange, CA 92866, USA Office: 1-714-456-6389; Email: Editor@westjem.org Official Journal of the California Chapter of the American College of Emergency Physicians, the America College of Osteopathic Emergency Physicians, and the California Chapter of the American Academy of Emergency Medicine

Clinical Practice and Cases in Emergency Medicine

Professional Society Sponsors

American College of Osteopathic Emergency Physicians

California ACEP

Academic Department of Emergency Medicine Subscribers

Albany Medical College

Albany, NY

American University of Beirut

Beirut, Lebanon

Arrowhead Regional Medical Center

Colton, CA

Augusta University

Augusta GA

Baystate Medical Center

Springfield, MA

Beaumont Hospital

Royal Oak, MI

Beth Israel Deaconess Medical Center

Boston, MA

Boston Medical Center

Boston, MA

Brigham and Women’s Hospital

Boston, MA

Brown University

Providence, RI

Carl R. Darnall Army Medical Center

Fort Hood, TX

Conemaugh Memorial Medical Center

Johnstown, PA

Desert Regional Medical Center

Palm Springs, CA

Doctors Hospital/Ohio Health

Columbus, OH

Eastern Virginia Medical School

Norfolk, VA

Einstein Healthcare Network

Philadelphia, PA

Emory University

Atlanta, GA

Genesys Regional Medical Center

Grand Blanc, Michigan

Hartford Hospital

Hartford, CT

Hennepin County Medical Center

Minneapolis, MN

Henry Ford Hospital

Detroit, MI

State Chapter Subscribers

INTEGRIS Health

Oklahoma City, OK

Kaweah Delta Health Care District

Visalia, CA

Kennedy University Hospitals

Turnersville, NJ

Kern Medical Bakersfield, CA

Lakeland HealthCare

St. Joseph, MI

Lehigh Valley Hospital and Health Network

Allentown, PA

Loma Linda University Medical Center

Loma Linda, CA

Louisiana State University Health Sciences Center

New Orleans, LA

Madigan Army Medical Center

Tacoma, WA

Maimonides Medical Center

Brooklyn, NY

Maricopa Medical Center

Phoenix, AZ

Massachusetts General Hospital

Boston, MA

Mayo Clinic College of Medicine

Rochester, MN

Mt. Sinai Medical Center

Miami Beach, FL

North Shore University Hospital

Manhasset, NY

Northwestern Medical Group

Chicago, IL

Ohio State University Medical Center

Columbus, OH

Ohio Valley Medical Center

Wheeling, WV

Oregon Health and Science University

Portland, OR

Penn State Milton S. Hershey Medical Center

Hershey, PA

Presence Resurrection Medical Center

Chicago, IL

Emergency Medicine Association of Turkey

Lebanese Academy of Emergency Medicine

MediterraneanAcademyofEmergencyMedicine

California Chapter Division of AmericanAcademy of Emergency Medicine

Robert Wood Johnson University Hospital

New Brunswick, NJ

Rush University Medical Center

Chicago, IL

Southern Illinois University

Carbondale, IL

St. Luke’s University Health Network

Bethlehem, PA

Stanford/Kaiser Emergency Medicine

Residency Program

Stanford, CA

Staten Island University Hospital

Staten Island, NY

SUNY Upstate Medical University

Syracuse, NY

Temple University

Philadelphia, PA

Texas Tech University Health Sciences Center

El Paso, TX

University of Alabama, Birmingham

Birmingham, AL

University of Arkansas for Medical Sciences

Little Rock, AR

University of California, Davis Medical Center

Sacramento, CA

University of California Irvine

Orange, CA

University of California, Los Angeles

Los Angeles, CA

University of California, San Diego

La Jolla, CA

University of California, San Francisco

San Francisco, CA

UCSF Fresno Center

Fresno, CA

University of Chicago, Chicago, IL

University of Colorado, Denver

Denver, CO

University of Florida

Gainesville, FL

Norwegian Society for Emergency Medicine

Sociedad Argentina de Emergencias

University of Florida, Jacksonville

Jacksonville, FL

University of Illinois at Chicago

Chicago, IL

University of Illinois College of Medicine

Peoria, IL

University of Iowa

Iowa City, IA

University of Louisville

Louisville, KY

University of Maryland

Baltimore, MD

University of Michigan

Ann Arbor, MI

University of Missouri, Columbia

Columbia, MO

University of Nebraska Medical Center

Omaha, NE

University of South Alabama

Mobile, AL

University of Southern California/Keck

School of Medicine

Los Angeles, CA

University of Tennessee, Memphis

Memphis, TN

University of Texas, Houston

Houston, TX

University of Texas Health

San Antonio, TX

University of Warwick Library

Coventry, United Kingdom

University of Washington

Seattle, WA

University of Wisconsin Hospitals and Clinics

Madison, WI

Wake Forest University

Winston-Salem, NC

Wright State University

Dayton, OH

Uniformed Services Chapter Division of the American Academy of Emergency Medicine Virginia Chapter Division of the American Academy of Emergency Medicine

Sociedad Chileno Medicina Urgencia ThaiAssociationforEmergencyMedicine

To become a WestJEM departmental sponsor, waive article processing fee, receive print and copies for all faculty and electronic for faculty/residents, and free CME and faculty/fellow position advertisement space, please go to http://westjem.com/subscribe or contact:

WestJEM Staff Liaison

Phone: 1-800-884-2236

Email: sales@westjem.org

Clinical Practice and Cases in Emergency Medicine ii Volume 7, no. 1: February 2023
in PubMed and full text in PubMed Central
Chapter Division of the American Academy of Emergency Medicine
Chapter Division of the American Academy of Emergency Medicine
Chapter Division of the American Academy of
Medicine
Chapter Division of the AmericanAcademy
Division
AmericanAcademy
Indexed
International Society Partners Arizona
California
Florida
Emergency
Great Lakes
ofEmergencyMedicine Tennessee Chapter
of the
ofEmergencyMedicine
This open access publication would not be possible without the generous and continual financial support of our society sponsors, department and chapter subscribers.

Clinical Practice and Cases in Emergency Medicine

Indexed in PubMed and full text in PubMed Central

JOURNAL FOCUS

Clinical Practice and Cases in Emergency Medicine (CPC-EM) is a MEDLINE-indexed internationally recognized journal affiliated with the Western Journal of Emergency Medicine (WestJEM). It offers the latest in patient care case reports, images in the field of emergency medicine and state of the art clinicopathological and medicolegal cases. CPC-EM is fully open-access, peer reviewed, well indexed and available anywhere with an internet connection. CPC-EM encourages submissions from junior authors, established faculty, and residents of established and developing emergency medicine programs throughout the world.

Table of Contents continued

39 Acute Intracranial Subdural Hematoma Masquerading as a Postpartum Headache: A Case Report

JM Tondt, FL Counselman, MJ Bono

43 Nebulized Ketamine Used for Managing Ankle Fracture in the Prehospital Emergency Setting: A Case Report

E Quinn, S Dhanraj, J Liu, S Motov, M Friedman, D Eng

Images in Emergency Medicine

47 Shoulder Abduction While Using the Bougie: A Common Mistake

JJ Horky, AP Pirotte, BR Wilson

49 Man with Pleuritic Chest Pain

TG Greiving, SG Mehta

51 A Rare Malposition of a Left Internal Jugular Central Venous Catheter into the Left Internal Mammary Vein

CA Koziatek, D Idowu, R White

Policies for peer review, author instructions, conflicts of interest and human and animal subjects protections can be found online at www.cpcem.org.

Volume 7, no. 1: February 2023 iii Clinical Practice and Cases in
Medicine
Emergency
editor@westjem.org

Education Fellowship at Eisenhower Medical Center, Rancho Mirage, CA

ABOUT THE PROGRAM

 SAEM-approved Education Fellowship

 Opportunities to learn in both Graduate and Undergraduate Medical Education

 Offer “Training to Teach in Medicine” certificate program from Harvard Medical School

 One- or two-year fellowship

 Competitive salary with full-benefits from Eisenhower Health

ABOUT EISENHOWER MEDICAL CENTER

 Rated among the region’s Best Hospitals by U.S. News & World Report

 More than 85,000 visits per year

 Advanced Primary Stroke Center, STEMI Center, Accredited Geriatric Emergency Department and Level Four Trauma Center

 State-of-art medical center

 50 private patient rooms

 Best EMR: Epic

 Three-year Emergency Medicine residency program

LIVING IN THE DESERT

 Affordable cost of living

 Variety of activities: hiking, shopping, dining, golfing, etc.

 Within two hours from many big cities (L.A. and San Diego)

CONTACT

Wirachin Hoonpongsimanont, MD, MS

Cell: 862-216-0466  Email: wirachin@gmail.com

website: gme.eisenhowerhealth.org

39000 Bob Hope Drive, Rancho Mirage, CA 92270 EisenhowerHealth.org

LIVE. WORK. PLAY. PROSPER.

45-year-old Male with Bilateral Lower Extremity Wounds, Swelling, and Rash

*

Section Editor: Joel Moll, MD

Submission history: Submitted September 11, 2022; Revision received October 22, 2022; Accepted November 1, 2022

Electronically published February 9, 2023

Full text available through open access at http://escholarship.org/uc/uciem_cpcem

DOI: 10.5811/cpcem.2022.11.58813

A 45-year-old male presented to the emergency department (ED) with bilateral lower extremity pain, swelling, and associated atypical rash in the setting of polysubstance use and unstable housing. Laboratory tests showed an elevated white blood cell count and inflammatory markers. [Clin Pract Cases Emerg Med. 2023;7(1):1–6.]

Keywords: rash; diphtheria; CPC

CASE PRESENTATION ( DR. SAJAK)

A 45-year-old male presented to the ED for evaluation with a chief complaint of bilateral lower extremity pain and swelling. The patient reported three to four days of an open wound to his right foot and one to two days of a gradually worsening wound to the right ankle. He reported a history of intravenous drug use (IVDU) and had most recently been injecting into his bilateral feet. He had no associated fevers or chills, but he did note a non-tender, non-pruritic rash that began in his bilateral feet and spread upward to the bilateral thighs over the course of a few days.

The patient had a history of methicillin-resistant Staphylococcus aureus (MRSA) bacteremia, osteomyelitis of the left great toe that required a partial ray amputation, depression, and a prior motor vehicle collision that resulted in a cerebrovascular accident due to carotid injury, as well as a traumatic brain injury, tracheostomy, and multiple facial reconstructive surgeries. The patient smoked a quarter of a pack of cigarettes per day and chronically used alcohol, as well as cocaine, heroin, and marijuana. At the time of his evaluation, he was experiencing homelessness. His medications included methadone, escitalopram, and quetiapine. He had no known drug allergies. A full review of systems was notable only for bilateral lower extremity pain as well as the rash, wound, and swelling noted in his history of present illness. Pertinent negatives included a lack of fever, chills, or other systemic symptoms.

The patient was alert and oriented to person, place, and time. His temperature on arrival was 36.6° Celsius, heart rate was 86 beats per minute (bpm), blood pressure of 154/94 millimeters of mercury, respiratory rate was 15 breaths per minute, and oxygen saturation was 99% on room air. He had a body mass index of 24.7 kilograms per meter squared. He appeared well-developed and well-nourished. He had sequela of facial reconstructive surgery. Mucous membranes were moist. He had a tracheostomy in the midline of his neck, which was patent without discharge or surrounding erythema. He had full cervical range of motion. His pupils were 3 millimeters equal, round, and reactive to light bilaterally, and extraocular movements were intact. His heart had a regular rate and rhythm with normal S1 and S2 without a murmur. He had normal and symmetric radial and dorsalis pedis pulses bilaterally. He was found to have trace pitting edema of the bilateral feet and ankles. He had a normal respiratory effort with clear, equal breath sounds. There was no chest wall deformity or tenderness. His abdomen was soft, non-tender, and non-distended with normal bowel sounds.

Skin exam showed multiple open wounds to the bilateral lower extremities. He had an eschar present on the right ankle. There was a shallow ulcer present on the right ankle with a membranous covering. There was an erythematous, papular, non-blanching rash present from the anterior thighs to the feet (Images 1 and 2). The bilateral lower extremities had generalized tenderness to light touch. Scarring and erythema

Volume 7, no. 1: February 2023 1 Clinical Practice and Cases in Emergency Medicine Clinicopathological
Maryland
Cases from the University of
University of Maryland Medical Center, Baltimore, Maryland University of Maryland School of Medicine, Department of Emergency Medicine, Baltimore, Maryland †

were noted on the left arm, which was slightly tender. No crepitus was palpable anywhere.

The patient had a contracture in his left upper extremity. All compartments of the bilateral lower extremities were soft. He had intact strength in his bilateral lower extremities, although he had some splinting secondary to pain. He was appropriate and cooperative.

The patient’s initial laboratory studies are demonstrated in Table 1. The patient had radiographs taken of the bilateral lower extremities as well as a computed tomography (CT) of the right lower extremity. Radiology reads of the radiographs showed “postsurgical changes of both left and right fibular shaft resections with scattered surgical clips. No evidence of osteomyelitis. No acute fractures or dislocations. No evidence of subcutaneous gas.” Result of the CT of the right lower extremity demonstrated “extensive subcutaneous fat stranding, skin thickening with ulcerations consistent with cellulitis (Image 3). No rim-enhancing fluid collections to suggest an abscess. No evidence of soft tissue gas. Post-surgical changes of distal fibular shaft resection and multiple surgical clips. No significant osseous erosions or periosteal reaction.” The patient was given empiric antibiotic coverage with vancomycin and piperacillin-tazobactam due to concern for infection. He was given IV fluids, and morphine for pain control. He was admitted to the family medicine service where a diagnostic test was ordered, and the diagnosis was made.

CASE DISCUSSION (DR. SEMELRATH)

When I first reviewed this case, it struck me that beyond the challenges of finding the correct diagnosis, this case also presents a challenge to some unconscious bias that we as emergency physicians may hold. The revelation of a history of substance abuse can lead to an initial assumption that the patient’s condition is a typical or expected consequence of their

Clinical Practice and Cases in Emergency Medicine 2 Volume 7, no. 1: February 2023
et al.
45-year-old
Male with Bilateral Lower Extremity Wounds, Swelling, and Rash
Sajak
Image 1. Photographs of a 45-year-old male with lower extremity wounds, swelling, and a rash. A) Bilateral lower extremities showing an erythematous, papular, non-blanching rash present from the anterior thighs to the feet. B) Right ankle ulcer with a membranous covering (white arrow) and wound with eschar (black arrow). Image 2. Photograph of an ulcer with membranous covering (white arrow) on the anterolateral right ankle of a 45-year-old male who presented with lower extremity wounds, swelling, and a rash. Image 3. Computed tomography sagittal view of the distal right lower extremity of a 45-year-old male with lower extremity wounds, swelling, and a rash.

drug use. However, this case reveals that while a substance use disorder certainly does impact our patient’s health in a myriad of ways, it is of the utmost importance that we keep an open mind and an open differential diagnosis to avoid premature closure when presented with an unusual presentation.

To recap our patient’s presentation, this gentleman presented to the ED with several days of lower extremity pain and swelling, and a noticeable rash over the legs. His history revealed that the rash and swelling had developed over the course of several days, but that other than some pain in the legs, he had generally been feeling well without any systemic symptoms. Physical examination was that of a well-appearing man with vital signs remarkable only for mild hypertension. He had a normal heart rate and was afebrile. The examination of the lower extremities revealed an impressive-looking ulcerative lesion as well as a rash that extended up past his knees. The ulcer itself was noted to have a membranous covering on it, and the rash was non-blanching and flat. There was no crepitus noted, although when one looked at the representative pictures of the legs, they had edema present along the outline of the rash.

The radiologic studies that were obtained did not reveal an obvious diagnosis. The radiographs and CT show some soft

tissue edema but no obvious localized abscess or subcutaneous emphysema. His laboratory studies revealed moderate leukocytosis with a bandemia, mild hyponatremia, and elevated serum inflammatory markers, namely the C-reactive protein (CRP) and the erythrocyte sedimentation rate (ESR).

When I approach a patient with a rash like this one, my first decision is whether the etiology is infectious or noninfectious. Here is where the unconscious bias can come into play. The patient was an active IV drug user; so the temptation is to attribute his presentation to the IV drug use. The immediate thought would be that this is a typical skin and soft tissue infection (SSTI) with an abscess that has been unroofed.

In terms of a “deadly differential” that emergency physicians should have in mind, necrotizing soft tissue infections such as necrotizing fasciitis or necrotizing myositis should always be high on the list. However, besides the visually impressive wounds being concerning for a necrotizing SSTI, the patient was not clinically toxic-appearing, had relatively normal vital signs, and was still alive after several days of his symptoms developing. These elements lower my pretest probability of a necrotizing SSTI. To diagnose necrotizing SSTI, there are a few hallmark features from the history and physical that should be present. It is typically rapidly developing, in most cases going from minor skin findings to life-threatening sepsis within 24 hours. It is also associated with severe pain, high fevers, a host of systemic symptoms, and the textbook finding of subcutaneous emphysema. All these findings were absent in this patient.

The laboratory findings in necrotizing SSTI, including a leukocytosis with a left shift of the differential, elevated inflammatory markers of ESR and CRP, and hyponatremia were present; however, given the nonspecific nature of these lab values, and the disconnect between the typical presentation of necrotizing SSTI and this patient’s presentation, I think I am on the wrong track here. So, when the clinical picture does not fit with your first few diagnoses, it’s time to widen your differential and look beyond any unconscious bias that may be in play.

Other infectious etiologies to consider are endocarditis with septic emboli, cellulitis, and syphilis. The patient’s IVDU puts him at risk for endocarditis with septic emboli. Skin trauma from IVDU and potentially poor hygiene related to homelessness put him at risk for cellulitis. Syphilis must be considered because although the patient did not specifically state that the rash began on his soles, he did report that the rash began on his feet without specifying which area. However, the patient was afebrile, had no pain, did not have a cardiac murmur, and was systemically well despite having symptoms for up to four days. Overall, his presentation is not consistent with a systemic or localized infection, thus lowering these choices on my differential diagnosis.

With a deep, violaceous rash, one of the things I always consider is some form of vasculitis. While the rash is consistent with a vasculitis, a bad vasculitis generally affects other organ systems, commonly the kidneys or lungs, as well.

Volume 7, no. 1: February 2023 3 Clinical Practice and Cases in Emergency Medicine Sajak
al. 45-year-old
et
Male with Bilateral Lower Extremity Wounds, Swelling, and Rash
Test name Patient value Reference range Complete blood count White blood cell 15.5 4.5 - 11 K/mcL Hemoglobin 13.6 11.9 - 15.7 g/dL Hematocrit 39.9 35.0 - 45.0% Platelets 341 153 - 367 K/mcL Complete metabolic panel Sodium 133 136 - 145 mmol/L Potassium 3.4 3.5 - 5.1 mmol/L Chloride 99 98 - 107 mmol/L Bicarbonate 25 21 - 30 mmol/L Blood urea nitrogen 30 7 - 17 mg/dL Creatinine 1.14 0.52 - 1.04 mg/dL Glucose 116 70 - 100 mg/dL Albumin 3.5 3.2 - 4.6 g/dL Total bilirubin 1.1 0.3 - 1.2 mg/dL Aspartate aminotransferase 30 14 - 36 units/L Alanine aminotransferase 23 0 - 34 units/L Alkaline phosphatase 71 38 - 126 units/L Additional labs C-reactive protein 36.9 ≤1.0 mg/dL Erythrocyte sedimentation rate 61 0 - 25 mm/Hr dL, deciliter; g, grams; Hr, hour; K, thousands; mcL, microliter; mg, milligram; mm, millimeter; mmol, millimole; L, liter.
Table 1. Laboratory values of a 45 year-old male with bilateral lower extremity wounds, swelling and rash.

45-year-old Male with Bilateral Lower Extremity Wounds, Swelling, and Rash Sajak

This patient had only a minimally elevated creatinine and had no pulmonary symptoms such as dyspnea or a cough, making vasculitis less likely to be the cause of his purpuric rash.

Other autoimmune processes must also be considered when a patient presents with a purpuric rash. Thrombotic thrombocytopenic purpura (TTP) is a reasonable concern given the ulcerative lesion and the associated rash. The classic pentad of TTP is thrombocytopenia, acute kidney injury, hemolytic anemia, fever, and major (e.g., seizure) or minor (e.g., headache) neurologic changes. However, the patient’s presentation does not fit with this very well, given his normal platelet level, very mildly elevated creatinine, normal hematocrit, and lack of fever or neurological complaints. While idiopathic thrombocytopenic purpura (ITP) is more common than TTP and can cause a purpuric rash in otherwise wellappearing patients, the lack of thrombocytopenia rules out this etiology. Henoch-Schönlein purpura could fit with the violaceous rash, but this is a pediatric disease, and the patient also does not have the associated findings of abdominal pain or renal impairment.

Another form of autoimmune disease that presents primarily with dermatologic findings is pyoderma gangrenosum (PG). Despite its name, this disease is neither pyogenic (pus forming) nor gangrenous (necrosis forming). It is a neutrophilic infiltrative dermatosis, where neutrophils locally invade the soft tissues, causing ulcerative lesions to form. Typically, multiple ulcerative lesions are present with at least one occurring on the anterior lower leg. There is an association of PG with other autoimmune diseases, particularly the inflammatory bowel diseases. There is also a strong association of PG and pathergy (being trauma-induced). We know that this patient had a substance use disorder and injected substances intravenously, which can be enough trauma to induce PG. Unfortunately, PG is typically a diagnosis of exclusion; so it would be difficult to make this diagnosis primarily from the ED.

Overall, the patient appeared too clinically well for a diagnosis of necrotizing SSTI to be a viable diagnosis and he had no known history that should put him at risk for autoimmune processes such as a vasculitis, TTP, ITP or PG. So, once again, I have to go back and widen my differential diagnosis. I know he was currently experiencing homelessness, so that puts him at risk for certain infectious diseases due to lack of hygienic services, poor nutrition, and exposure to the elements.

Looking back at the physical exam, one detail that I did not address is the presence of a membranous covering on the wound bed itself. Where else in medicine have I heard the term membranous covering? Diphtheria. While most of us are familiar with the typical presentation of diphtheria as a primary respiratory illness, there is also a cutaneous form of it. People who are at risk for contracting cutaneous diphtheria are those exposed to the bacteria in droplets and who are immunocompromised. Because the patient used IV drugs, he was at risk of having an undiagnosed

immunocompromising condition.

Especially in this patient who was also experiencing homelessness, I have to look at the environment that the patient was occupying. The patient likely did not have ready access to medical care, most likely had a poor nutritional status, which can impair immune function, and his IV drug use could expose him to numerous bloodborne pathogens that can impact his ability to mount an adequate immune response. Additionally, many people experiencing homelessness will sleep near or on the grates of the public utilities because they are warm spots. However, this also means that the homeless person is continuously exposed to a warm, wet environment from steam escaping from the vents. This results in an essentially continuous droplet exposure.

To summarize this case, I have a patient who was clinically non-toxic but had wounds on his legs that appeared ulcerative with a membranous covering and an extensive, associated, violaceous rash. I believe the diagnostic test that should have been done is a wound culture, which would confirm a diagnosis of cutaneous diphtheria.

CASE OUTCOM E (DR. SAJAK)

The diagnostic test obtained in this case was a wound culture. The patient was taken to the operating room by the surgical consulting team and had intraoperative biopsies and cultures that demonstrated growth of Corynebacterium diphtheriae, and the diagnosis of cutaneous diphtheria was made. His blood cultures also grew methicillin-sensitive S. aureus (MSSA), Streptococcus pyogenes, and coagulase negative staphylococcus. He had an echocardiogram that did not show evidence of endocarditis. Infectious disease was consulted, and the patient ultimately received three days of vancomycin, piperacillin-tazobactam, and clindamycin before switching to oxacillin for the remainder of his hospital course. He was discharged to a subacute rehabilitation facility on oral cephalexin for a total duration of antibiotic therapy of 16 days.

RESIDENT DISCUSSION ( DR. SAJAK)

C. diphtheriae is an aerobic, gram positive bacillus that was first described by Hippocrates as early as the fifth century before the common era.1 By the end of the 19th century, the bacterium had been observed and cultivated by two separate scientists, Edwin Klebs and Fredrich Loffler. It was thereafter discovered that the bacterium produces a toxin when lysogenized by corynebacteriophages, and the toxin is responsible for the clinical presentation of diphtheria. The mechanism of action of the toxin is through the inactivation of elongation factor 2 (EF-2), thereby inhibiting protein synthesis.2

Clinical infection with C. diphtheriae has a typical incubation period of two to five days, followed by an infectious period of two to six weeks without antibiotic treatment.1 Infection can occur on any mucous membrane and is classified by the location of the infection. Cutaneous diphtheria, as described in this patient, occurs in the skin and

Clinical Practice and Cases in Emergency Medicine 4 Volume 7, no. 1: February 2023
al.
et

can also be accompanied by a scaling rash or ulcers, which are typically well demarcated. Cutaneous diphtheria is associated with a lesser risk of systemic complications when compared to respiratory diphtheria.1

As the name suggests, respiratory diphtheria occurs when C. diphtheriae infection occurs in the respiratory tract, in the nasal cavity, pharynx, tonsils, or larynx.1 Respiratory diphtheria can present with a constellation of symptoms including pharyngitis, dysphagia, fever, cervical lymphadenopathy, and epistaxis. Pseudomembranes can also be seen at the site of clinical infection with respiratory diphtheria, often appear gray in color, and are composed of fibrin, bacteria, and inflammatory cells.2 Respiratory diphtheria can be associated with airway compromise from growth of a pseudomembrane in the trachea and/or sloughing of pieces of a pseudomembrane into the airway, as well as systemic complications such as myocarditis, polyneuropathy, paralysis, and renal failure. Mortality of respiratory infections is approximately 5-10%, even with appropriate treatment.1

C. diphtheriae infections are seen with higher frequency in tropical climates and developing countries. They are more prominent in the unvaccinated and immunocompromised populations. However, there are also reports of asymptomatic nasopharyngeal carriers.2 Infection is known to occur through droplets, fomites, and open wounds.3 Diagnosis is often made via culture, such as in the case of this patient; however, there is also an immunogenicity test, called the modified Elek test, that is run at the Pertussis and Diphtheria Laboratory of the Centers for Disease Control and Prevention (CDC). This is an immunoprecipitation assay that tests for the toxigenicity of the strain of isolated C. diphtheriae 4

As it is an acute bacterial illness, antibiotics are indicated for both respiratory and cutaneous diphtheria. The CDC recommends initiation of penicillin or erythromycin.4 Typically patients are considered no longer infectious after 48 hours of antibiotic therapy but should have cultures drawn every 24 hours after completion of treatment until two consecutive negative results are obtained.1 For suspected cases of respiratory diphtheria, there is also an antitoxin that is given in consultation with the CDC. Importantly, this is not approved by the United States Food and Drug Administration but is available for use under the label of an investigational new drug and requires approval from the CDC diphtheria duty officer.5

It is important to note that active infection with C. diphtheriae may not confer immunity. Rather, prevention of diphtheria infection is accomplished through a toxoid vaccine, developed in the 1920s and later combined with the tetanus toxoid and the pertussis vaccine in the 1940s. In the United States, it is recommended that this combination vaccine be given as a four-shot series to children starting at age four months and concluding by age six years. Boosters are recommended at age 11-12 years and with every pregnancy. Boosters can also be given every 10 years for individuals at elevated risk, such as healthcare workers.6

FINAL DIAGNOSIS Cutaneous diphtheria

KEY TEACHING POINTS

• Unconscious bias can limit our diagnostic thought process. To limit its effect, try to identify whether assumptions are being made about the patient that are not supported by evidence and then go back and widen your differential without those assumptions.

• Ulcers on the skin are most commonly a primary infectious process of the skin and soft tissue, but there are many other disease processes that have dermatologic manifestations as well.

• Diphtheria has a cutaneous form, which presents as ulcerative lesions with a membranous covering.

• Those at risk for cutaneous diphtheria are people who are unvaccinated against the disease, immunocompromised, have recently travelled, or have had prolonged exposures to warm, wet environments.

The authors attest that their institution requires neither Institutional Review Board approval, nor patient consent for publication of this case report. Documentation on file.

Address for Correspondence: T. Andrew Windsor, MD, University of Maryland School of Medicine, Department of Emergency Medicine, 110 S Paca Street, 6th Floor, Suite 200, Baltimore, MD 21201. Email: awindsor@som.umaryland.edu.

Conflicts of Interest: By the CPC-EM article submission agreement, all authors are required to disclose all affiliations, funding sources and financial or management relationships that could be perceived as potential sources of bias. The authors disclosed none.

Copyright: © 2023 Sajak et al. This is an open access article distributed in accordance with the terms of the Creative Commons Attribution (CC BY 4.0) License. See: http://creativecommons.org/

REFERENCES

1. Acosta AM, Moro PL, Hariri S, et al. Centers for Disease Control and Prevention. Diphtheria. Available at: https://www.cdc.gov/vaccines/ pubs/pinkbook/dip.html. Accessed June 20, 2022.

2. Murphy JR. Corynebacterium Diphtheriae. In: Medical Microbiology. 4th ed. Baron S, ed. Galveston, TX: University of Texas Medical Branch at Galveston; 1996.

3. Moore LSP, Leslie A, Meltzer M, et al. Corynebacterium ulcerans cutaneous diphtheria. Lancet Infect Dis. 2015;15(9):1100-7.

4. Centers for Disease Control and Prevention. Diphtheria – Clinicians.

Volume 7, no. 1: February 2023 5 Clinical Practice and Cases in Emergency Medicine
Sajak et al. 45-year-old Male with Bilateral Lower Extremity Wounds, Swelling, and Rash

45-year-old Male with Bilateral Lower Extremity Wounds, Swelling, and Rash

Available at: https://www.cdc.gov/diphtheria/clinicians.html. Accessed June 20, 2022.

5. Centers for Disease Control and Prevention. Diphtheria Antitoxin. Available at: https://www.cdc.gov/diphtheria/dat.html. Accessed June 20, 2022.

6. Havers FP, Moro PL, Hunter P, et al. Use of tetanus toxoid, reduced diphtheria toxoid, and acellular pertussis vaccines: updated recommendations of the advisory committee on immunization practices — United States, 2019. MMWR Morb Mortal Wkly Rep 2020;69:77–83.

Clinical Practice and Cases in Emergency Medicine 6 Volume 7, no. 1: February 2023

A Benign Mimic of Dangerous Neck Pathology: A Case Report of Longus Colli Calcific Tendonitis

Section Editor: Melanie S. Heniff, MD, JD

Submission history: Submitted January 28, 2022; Revision received May 25, 2022; Accepted June 3, 2022

Electronically published December 29, 2022

Full text available through open access at http://escholarship.org/uc/uciem_cpcem

DOI: 10.5811/cpcem.2022.6.56243

Introduction: Longus colli calcific tendonitis (LCCT) is a calcium deposition disease that causes acute or subacute atraumatic neck pain. It is important for the emergency physician to consider LCCT in the differential diagnosis because the clinical presentation of this benign condition may mimic life-threatening disease processes that require invasive diagnostic measures.

Case Report: We present a case of a 63-year-old female with atraumatic right-sided neck pain. On exam she had tenderness to palpation in the neck, as well as difficulty ranging her neck and opening her mouth. She underwent computed tomography of her neck with intravenous contrast, which showed calcific tendonitis of the longus colli muscle with retropharyngeal edema. She was seen by otolaryngology, underwent nasopharyngolaryngoscopy, and ultimately was discharged with antibiotics and corticosteroids.

Conclusion: The presentation of LCCT can mimic symptoms of dangerous causes of neck pain including retropharyngeal abscess and meningitis. Early diagnosis in the ED can potentially avoid more invasive diagnostic and therapeutic measures. While LCCT is thought to be self-limiting, it can be treated with non-steroidal anti-inflammatory medications and corticosteroids. If pain is controlled, patients can be discharged from the ED with no specialist follow-up required. [Clin Pract Cases Emerg Med. 2023;7(1):7–10.]

Keywords: case report; neck pain; tendonitis.

INTRODUCTION

Acute calcific tendonitis of the longus colli muscle (also called retropharyngeal calcific tendonitis) is a benign and self-limiting condition that presents similarly to potentially dangerous disease processes. Patients with longus colli calcific tendonitis (LCCT) often present with neck pain, neck stiffness, and odynophagia, and at times will also have headache and subjective fevers.1-3 This constellation of symptoms could be consistent with several potentially devastating diagnoses that the emergency physician must consider, including retropharyngeal abscess, mastoiditis, and meningitis. It is, therefore, important to recognize LCCT as a possible diagnosis in the patient with atraumatic neck pain and stiffness, as timely diagnosis with this benign condition may avoid more aggressive testing and treatment.

CASE REPO/RT

A 63-year-old female presented to the emergency department (ED) with a chief complaint of right-sided neck pain. She had a past medical history of non-insulindependent diabetes, hypertension, and hyperlipidemia, which were controlled with medications. The neck pain had been worsening for the prior five days and was located behind her right ear with radiation to the anterior and posterior soft tissue of the right side of the neck. She had been seen in the ED with neck pain the day before and was discharged, but she returned with progressive symptoms that now included sore throat, pain with swallowing, and difficulty moving her neck. She denied history of trauma, fevers, nasal congestion, headache, recent dental work or tooth pain, and ear pain or discharge.

Volume 7, no.1: February 2023 7 Clinical Practice and Cases in Emergency Medicine Case Report
Cooper University Hospital, Department of Emergency Medicine, Camden, New Jersey

On physical exam, she was afebrile with normal vital signs. She was in no acute distress and had no trouble managing her secretions. She had some difficulty opening her mouth fully due to pain. Active and passive range of motion of the neck was limited due to pain. She had tenderness to palpation on the right side of her neck, both anterior and posterior to her ear. There was no tenderness to palpation in the midline over the cervical spine. She had no asymmetry in the neck or palpable lymph nodes and no overlying skin changes. Her tympanic membranes were normal bilaterally and she had no swelling, pain, erythema, or drainage in her pinna or external auditory canal.

Laboratory results showed white blood cell count (WBC) of 11.59 x 109 cells per liter (x 109/L) (reference range: 4.50 – 11.0 x 109/L). Erythrocyte sedimentation rate and C-reactive protein were not sent. Computed tomography (CT) of the neck with intravenous (IV) contrast was done, as the differential diagnosis included mastoiditis, retropharyngeal abscess, and other deep space neck infection. Computed tomography results showed prominent amorphous calcification inferior to the anterior arch of the first cervical vertebrae, highly suggestive of calcific tendonitis of the longus colli muscle (Image 1), with diffuse retropharyngeal edema (Image 2).

The patient was monitored in the observation unit and was seen by the otolaryngology team, which performed nasopharyngolaryngoscopy the next day to assess for airway obstruction in the setting of retropharyngeal swelling. At this time, her WBC count had increased to 14 x 109/L.

Nasopharyngolaryngoscopy showed mild bulging of the left

CPC-EM Capsule

What do we already know about this clinical entity?

Longus colli calcific tendonitis (LCCT) is caused by calcium crystal deposition in the longus colli muscle, which can cause neck pain and neck stiffness.

What makes this presentation of disease reportable?

The presentation of LCCT, including atraumatic neck pain, neck stiffness, and subjective fevers, mimics pathologies like retropharyngeal abscess or meningitis.

What is the major learning point?

LCCT causes acute to subacute neck pain that mimics life-threatening pathology, but is a benign, usually self-limiting, condition.

How might this improve emergency medicine practice?

Diagnosing LCCT in the emergency department can potentially avoid more invasive diagnostic testing, therapeutic interventions, and even hospital admission.

Clinical Practice and Cases in Emergency Medicine 8 Volume 7, no. 1: February 2023 Benign Mimic of Dangerous Neck Pathology Volino et al.
showing focal calcification (arrow) in the longus colli tendon at the level of the first and second cervical vertebrae. Image 2. Sagittal computed tomography image in soft tissue window showing diffuse retropharyngeal edema (arrows).

pharyngeal wall with no obstruction of the glottic airway and no concern for abscess or fluid collection. The edema was thought to be reactive secondary to tendonitis rather than due to infectious etiology. However, because of the elevation in WBCs in the setting of retropharyngeal edema, the otolaryngology team recommended empiric treatment with antibiotics. The patient was discharged with a 10-day course of amoxicillin/clavulanate and a 10-day course of prednisone.

DISCUSSION

Longus colli calcific tendonitis occurs due to calcium hydroxyapatite crystal deposition within the longus colli muscle fibers and tendon. This type of calcium deposition disease is more commonly found in the shoulder joint and has been less well-described in the longus colli muscle.4-6 Symptoms of pain and stiffness are thought to be due to a foreign body inflammatory response to the presence of calcium crystals.2 The exact etiology of the calcium crystal deposition is unknown. Hypotheses have included repetitive trauma, ischemia, and tendon degeneration, although most patients present with no direct preceding incident to explain symptoms.2,3,6,7

The longus colli muscle is located along the ventral aspect of the cervical vertebrae in the prevertebral space, extending from the first cervical vertebra to the third thoracic vertebra. The muscle functions in neck flexion and rotation. It is made up of three parts: vertical; inferior oblique; and superior oblique, with the superior aspect most commonly affected by calcific deposits.2,3,8,9 Although the muscle and, therefore, the calcific deposits are located in the prevertebral space, there is often associated edema (and even at times fluid collection) in the adjacent retropharyngeal space, as was seen in our patient. Affected patients are usually in the third through sixth decades of life, but have been described from ages 21-81.1-3,6-10

The typical presentation of LCCT includes acute or subacute nontraumatic neck pain, neck stiffness, and odynophagia. Patients also have been described reporting headaches and subjective fevers. The WBC count is often normal to slightly elevated, and erythrocyte sedimentation rate may be elevated as well.1-3 The clinical picture often prompts a work-up for disc herniation or for infectious etiology of symptoms, including retropharyngeal abscess, mastoiditis, and meningitis.1,2,9-11

Computed tomography is the optimal imaging choice for diagnosing LCCT. It will identify the calcific deposits and will characterize associated retropharyngeal edema, also allowing for distinction between this diagnosis and retropharyngeal abscess if IV contrast is used. Radiograph of the cervical spine does not always reveal the calcific deposits and may result in a missed diagnosis if used in isolation. Magnetic resonance imaging will identify the soft tissue edema or fluid collection but will not clearly elucidate the calcific deposits, which could also result in a missed diagnosis.3,7

The characteristic CT findings include calcific deposits in the prevertebral space, ventral to the first and second cervical

vertebrae, localized to the longus colli muscle. Computed tomography often will also show surrounding edema in the prevertebral or retropharyngeal space.1-3,7,9-12 Retropharyngeal effusion without surrounding structural enhancement has also been described, with the lack of an enhancing wall differentiating this fluid collection from abscess.7,9

Once the diagnosis of acute calcific tendonitis of the longus colli muscle has been made, conservative management is appropriate, with resolution of symptoms usually occurring in 1-2 weeks. The condition appears to be self-limiting, in that no serious complications or progressions of the disease have been reported, although it is widely acknowledged that this disease process is likely under-diagnosed and under-reported. Nonsteroidal anti-inflammatory drugs and corticosteroids are frequently used to help improve symptoms more rapidly.1,2,4,7,9-12 Treatment with antibiotics is unnecessary. If the diagnosis is made in the ED, patients can likely be discharged if pain is controlled. No specific specialist follow-up is required.

CONCLUSION

Neck pain is a common chief complaint in the ED that can cause debilitating pain for patients. We describe a case of neck pain caused by acute calcific tendonitis of the longus colli muscle, which was diagnosed in the ED. This condition is benign and self-limiting, but its presentation can mimic that of more dangerous head and neck pathology. It is, therefore, important for the emergency physician to consider this diagnosis when evaluating atraumatic neck pain and stiffness. Prompt diagnosis with this tendonitis can avoid more aggressive testing and invasive treatment modalities, as patients can often be discharged with oral medications to treat their pain. By avoiding further testing and hospital admission, healthcare costs are reduced.

The authors attest that their institution requires neither Institutional Review Board approval, nor patient consent for publication of this case report. Documentation on file.

Address for Correspondence: Alyse Volino, MD, Cooper University Hospital, Department of Emergency Medicine, 1 Cooper Plaza, Camden, NJ 08103. Email: volino-alyse@cooperhealth.edu.

Conflicts of Interest: By the CPC-EM article submission agreement, all authors are required to disclose all affiliations, funding sources and financial or management relationships that could be perceived as potential sources of bias. The authors disclosed none.

Copyright: © 2023 Volino et al. This is an open access article distributed in accordance with the terms of the Creative Commons Attribution (CC BY 4.0) License. See: http://creativecommons.org/ licenses/by/4.0/

Volume 7, no. 1: February 2023 9 Clinical Practice and Cases in Emergency Medicine Volino et al. Benign Mimic of Dangerous Neck Pathology

REFERENCES

1. Harnier S, Kuhn J, Harzheim A, et al. Retropharyngeal tendinitis: a rare differential diagnosis of severe headaches and neck pain. Headache. 2008;48(1):158–61.

2. Ring D, Vaccaro AR, Scuderi G, et al. Acute calcific retropharyngeal tendinitis: clinical presentation and pathological characterization. J Bone Joint Surg Am. 1994;76(11):1636-42.

3. Zibis AH, Giannis D, Malizos KN, et al. Acute calcific tendinitis of the longus colli muscle: case report and review of the literature. Eur Spine J. 2013;22(Suppl 3):S434-8.

4. Faure G and Daculsi G. Calcified tendinitis: a review. Ann Rheum Dis. 1983;42(Suppl 1):49-53.

5. Graham P. Calcific tendinitis of the shoulder. Ortho Nurs. 2017;36(6):439-41.

6. Kaplan MJ and Eavey RD. Calcific tendinitis of the longus colli muscle. Ann Otol Rhinol Laryngol. 1984;93:215–9.

7. Eastwood JD, Hudgins PA, Malone D. Retropharyngeal effusion in acute calcific prevertebral tendinitis: diagnosis with CT and MR imaging. Am J Neuroradiol. 1998;19(9):1789–92.

8. Bakkum B and Cramer GD. Muscles that influence the spine. In: Cramer GD, Darby SA. Clinical Anatomy of the Spine, Spinal Cord, and ANS. 3rd ed. St. Louis: Elsevier; 2014:98-134.

9. Waldman, SD. Longus colli tendinitis. In: Waldman, S. Atlas of Common Pain Syndromes, 4th ed. Elsevier; 2018:71-4.

10. Levy Z, Carroll J, Farley H. Benign nuchal rigidity: the emergency department evaluation of acute prevertebral calcific tendonitis. West J Emerg Med 2012;13:114-6.

11. Zapolsky N, Heller M, Felberbaum M, et al. Calcific tendonitis of the longus colli: an uncommon but benign cause of throat pain that closely mimics retropharyngeal abscess. J Emer Med. 2017;52(3):358–60.

12. Chung T, Rebello R, Gooden EA. Retropharyngeal calcific tendinitis: Case report and review of literature. Emerg Radiol. 2005;11(6):375–80.

Clinical Practice and Cases in Emergency Medicine 10 Volume 7, no. 1: February 2023
Volino et al.
Benign Mimic of Dangerous Neck Pathology

Bilateral Tubal Pregnancies Presenting 11 Days Apart: A Case Report

University of California Davis School of Medicine, Sacramento, California

The Permanente Medical Group, Division of Research, and the CREST Network, Oakland, California

Kaiser Permanente Roseville Medical Center, Department of Emergency Medicine, Roseville, California

The Permanente Medical Group, Kaiser Permanente Bernard J. Tyson School of Medicine, and the CREST Network, Oakland, California

Kaiser Permanente Modesto Medical Center, Department of Emergency Medicine, Modesto, California

Submission history: Submitted April 17, 2022; Revision received October 7, 2022; Accepted October 13, 2022

Electronically published February 9, 2023

Full text available through open access at http://escholarship.org/uc/uciem_cpcem

DOI: 10.5811/cpcem.2022.10.56910

Introduction: Ectopic pregnancy is the most common cause of maternal mortality in the first trimester.1 Bilateral tubal pregnancy is the rarest subset with an estimated incidence of one in 725 to 1,580 ectopic pregnancies.2 Of the cases of bilateral tubal pregnancy reported in the literature, most were associated with the use of assisted reproductive techniques.3 Here we present the case of a patient, without a prior history of reproductive technology use, who underwent treatment for a tubal pregnancy and was subsequently found to have a second, contralateral tubal pregnancy 11 days later.

Case Report: A 35-year-old female gravida eight para two with a history of left tubal pregnancy and salpingectomy 11 days prior, presented to the emergency department (ED) with two days of left lower and upper quadrant abdominal pain. The patient’s last menstrual period had been several months prior. A physical examination revealed left lower quadrant abdominal tenderness, rebound, guarding, and left adnexal tenderness. Her vital signs were unremarkable, and her laboratory studies revealed normal white blood cell and hemoglobin values. Her human chorionic gonadotropin had tripled from her last presentation 11 days prior. Transvaginal ultrasound showed a possible ectopic pregnancy adjacent to the right ovary. She promptly underwent a right salpingectomy. Pathology findings confirmed a tubal pregnancy, and the patient’s postoperative course was uneventful.

Conclusion: This case highlights the importance of maintaining a high index of suspicion for ectopic pregnancy in all biologically female patients of reproductive age who present to the ED with abdominal pain. [Clin Pract Cases Emerg Med. 2023;7(1):11–15.]

.

Keywords: case report; tubal pregnancy; ectopic pregnancy; pelvic pain; abdominal pain.

INTRODUCTION

Ectopic pregnancy, defined as any pregnancy outside the uterine cavity, is the most common cause of hemorrhage-related maternal mortality in the first trimester. Up to 90% of these pregnancies are of tubal origin. Less common sites of implantation include the ovary, cesarean scar, cervix, and

abdomen.1 Bilateral tubal pregnancy is the rarest subset, with an estimated incidence of one out of every 725 to 1,580 ectopic pregnancies and one out of every 200,000 spontaneous ectopic pregnancies.2 The risk of heterotopic pregnancy, where an ectopic and intrauterine pregnancy occur together, is estimated to range from one in 4,000 to one in 30,000 in natural conception.4 Several

Volume 7, no. 1: February 2023 11 Clinical Practice and Cases in Emergency Medicine Case Report
* † ‡ § ¶

identified risk factors increase the likelihood of ectopic pregnancy, including previous damage to the fallopian tubes from prior ascending pelvic infections or surgeries, multiple embryo transfers in assisted reproductive technology, history of cigarette smoking, and advanced age.4 Interestingly, half of all individuals diagnosed with an ectopic pregnancy have no known risk factors. The prompt identification of ectopic pregnancy is especially important as ruptured ectopic pregnancies continue to account for 2.7% of all pregnancy-related deaths and thus are true medical emergencies.4 Here we present a case of a patient who underwent treatment for a tubal pregnancy and was subsequently found to have a second, contralateral tubal pregnancy 11 days later.

CASE REPORT

A 35-year-old female gravida eight para two with a recent left tubal pregnancy and a left salpingectomy 11 days prior, presented to the emergency department (ED) with two days of left lower and upper quadrant abdominal pain radiating to the epigastric region. The patient’s last menstrual period had been several months prior. She had a family history of ectopic pregnancies and a history of a prior sexually transmitted infection but no documented history of pelvic inflammatory disease. The physical examination revealed left lower quadrant abdominal tenderness, rebound, guarding, and left adnexal tenderness. Her vital signs were unremarkable, with an initial blood pressure of 132/82 millimeters of mercury, pulse of 75 beats per minute, temperature of 98°F, and oxygen saturation of 99% on room air.

Her laboratory studies were notable for a hemoglobin of 11.9 grams per deciliter (g/dL) (reference range: 11.6-15 g/dL) and a normal white blood cell count of 8.4 thousand per cubic milliliter (k/μL) (reference range: 5-10 k/μL). Her lipase and liver function tests were within normal limits. Her human chorionic gonadotropin (hCG) had tripled from 6,253 milli-international units per milliliter (mIU/mL) (reference range: ≤2 mIU/mL) from her prior presentation to 18,038 mIU/mL. Transvaginal ultrasound showed a possible ectopic pregnancy adjacent to the right ovary and no intrauterine pregnancy (Image 1).

CPC-EM Capsule

What do we already know about this clinical entity? Ectopic pregnancy is the most common cause of maternal mortality in the first trimester, and a bilateral tubal pregnancy is the rarest subset.

What makes this presentation of disease reportable? Most reported cases of bilateral tubal pregnancies are associated with the use of assisted reproductive techniques whereas our patient had no such history.

What is the major learning point?

This case shows the importance of having a high index of suspicion for ectopic pregnancy in all female patients of reproductive age who present with abdominal pain.

How might this improve emergency medicine practice?

It serves as a reminder to keep the rare and lifethreatening diagnosis of ectopic pregnancy on the differential even when the diagnosis may seem unlikely.

The patient declined medical abortion and was taken to the operating room for a right salpingectomy. On her initial presentation 11 days prior, the patient’s preoperative ultrasound had shown a complex focus of the left ovary with a hyperechoic thick rim suggestive of ectopic pregnancy and probable right-sided corpus luteal and anechoic cysts (Image 2, Image 3). No evidence of right ectopic pregnancy was documented intraoperatively during the patient’s initial salpingectomy. Pathology findings from the initial left- and subsequent right-sided procedures showed immature chorionic villi, congestion, and hemorrhage consistent with a tubal

Clinical Practice and Cases in Emergency Medicine 12 Volume 7, no. 1: February 2023 Bilateral Tubal Pregnancies Presenting 11 Days Apart Farshidpour et al.
Image 1. This image shows the patient’s ultrasound findings 11 days after her initial diagnosis of a left tubal pregnancy. The image on the left shows the right adnexa with an arrow pointing to a rounded cystic structure with a peripheral soft tissue component, blood flow, and free fluid. The image on the right shows the left ovary with two arrows pointing to a moderate amount of free fluid in the left adnexa. Image 2. This image shows the patient’s initial ultrasound findings. The image on the right shows two arrows pointing to the left adnexa with a complex focus measuring 2.5 x 2.6 x 2.6 centimeters (cm) with a cystic focus of 0.5 cm within it and a hyperechoic thick rim. The image on the left shows the right adnexa with arrows pointing to a small, probable 0.8 cm corpus luteal cyst and an anechoic cyst measuring 1.6 cm.

pregnancy. The patient had an uneventful recovery after her second surgery.

DISCUSSION

A preoperative diagnosis of bilateral ectopic pregnancy is neither easy nor straightforward, especially given its rarity.5 Ectopic pregnancy can masquerade as other conditions such as gastrointestinal disease (e.g., appendicitis), urinary tract disease, or other gynecological disorders such as ruptured cyst or ovarian torsion).6 This case highlights the challenges of identifying a bilateral tubal pregnancy even after obtaining the appropriate diagnostic studies.

Transvaginal ultrasound and serum hCG measurement are the first steps in diagnosing an ectopic pregnancy. Ultrasonography, however, can rarely definitively diagnose an ectopic pregnancy, as most do not advance to a stage where a gestational sac with a yolk sac or embryo is present.7 More commonly, a mass or a mass with a hypoechoic area is visualized and should raise suspicion for an ectopic pregnancy. These findings can also be confused with other structures, such as a paratubal cyst, corpus luteum, hydrosalpinx, endometrioma, or bowel.

Serum hCG cannot be used to distinguish between an intrauterine and ectopic pregnancy but can be used to determine whether the pregnancy has advanced enough for an intrauterine gestational sac to be visible on transvaginal ultrasound. Although there is debate regarding the best serum hCG cutoff, the conservatively high value of 3,500 mIU/mL is commonly accepted.4 This typically occurs around five to six weeks of gestation. Absence of a possible gestational sac in the setting of an elevated serum hCG level can lead to an increased index of suspicion for ectopic pregnancy.

Serial serum hCGs can also be used to assess the progression of early pregnancy before ultrasound findings

become diagnostic.4 Typically, the hCG values of an intrauterine pregnancy double every 48 hours. When this does not occur, there should be an increased clinical suspicion for a miscarriage or a pregnancy that has implanted outside the uterus. Using this method of serial measurements is contingent on adequate patient follow-up and, depending on the institution, can have low utility in the ED setting. The estimation of hCG has also not proven to be reliable for distinguishing a bilateral from a unilateral tubal pregnancy while ultrasonography has only rarely identified bilateral tubal pregnancies preoperatively. In fact, in a review of 16 case reports on bilateral ectopic pregnancies, the second pregnancy was identified on ultrasound in only six cases.8 Often the second pregnancy is mistaken for an ovarian cyst, as in our case, further hindering timely diagnosis and treatment.5,9-11

There are no risk factors specific to the development of bilateral tubal pregnancy. Even risk factors for developing unilateral ectopic pregnancies are present only about 50% of the time, rendering them of little use for increasing or decreasing a clinician’s suspicion for an ectopic pregnancy. Additionally, both a bilateral ectopic pregnancy and a pregnancy of dizygotic twins require more than one ovulation event to occur in close temporal proximity. This phenomenon, known as hyperovulation, is uncommon. In the absence of assisted reproductive technology, dizygotic twins account for approximately 70% of twin gestations, which themselves account for 3% of live births.12 This is, however, likely an underestimation of the prevalence of hyperovulation since most of a female’s ovulatory cycles do not result in fertilization, leaving these occurrences undetected (see Appendix A).

Clinical symptoms and physical examination findings are frequently vague in patients presenting with ectopic pregnancy. As many as one-third of women diagnosed with an ectopic pregnancy have no clinical signs, and 9% of women have no symptoms. Symptoms may include pelvic or abdominal pain, vaginal bleeding, and breast soreness between six to ten weeks of gestation.6 Additionally, no single physical examination finding or maneuver is specific for ectopic pregnancy although common physical examination findings include cervical motion tenderness in approximately 67% of cases, abdominal or pelvic tenderness in approximately 75% of cases, and a palpable adnexal mass in approximately 50% of cases.6 In instances of rupture, rebound tenderness and guarding may be appreciated on abdominal examination.

Clinical symptoms and physical examination also cannot be relied upon for distinguishing between a unilateral or bilateral ectopic pregnancy due to the innervation of the abdomen (see Appendix B). In the case of our patient, her inconsistent physical examination, which suggested left-sided pathology when her ectopic pregnancy was actually on the right, may be due to a combination of factors, including her postoperative pain being more pronounced than the discomfort caused by her ectopic pregnancy, poor localization due to abdominal

Volume 7, no. 1: February 2023 13 Clinical Practice and Cases in Emergency Medicine Farshidpour et al. Bilateral Tubal Pregnancies Presenting 11 Days Apart
Image 3. This image shows both of the patient’s ultrasound findings as described above for ease of comparison. The upper panel is from the initial encounter and the lower panel is from the patient’s encounter 11 days later.

innervation, or an error in physical examination documentation.

Due to the rarity of bilateral ectopic pregnancies, there is no well-established recommendation or standard of care for management. Many reported cases of bilateral ectopic pregnancies are treated with surgical intervention. It is important to note, however, that the second pregnancy is often diagnosed intraoperatively. It is theoretically possible, therefore, that some cases of presumed unilateral ectopic pregnancies that are medically treated may have been cases of bilateral tubal or heterotopic pregnancies.

Conversely, unilateral ectopic pregnancies have wellestablished treatment guidelines. Treatment is dependent on the patient’s hemodynamic stability, desire for future pregnancy, and patient-informed choice based on the risks and benefits of each approach. Stable patients are candidates for medical management with methotrexate, a folate antagonist that interrupts the synthesis of the purine nucleotides serine and methionine, which effectively inhibits deoxyribonucleic acid (DNA) synthesis, DNA repair, and cell replication. Contraindications to methotrexate include immunodeficiency, anemia, leukopenia, thrombocytopenia, active pulmonary disease, active peptic ulcer disease, hepatic dysfunction, renal dysfunction, breastfeeding, and inability to follow up for surveillance.4 Three published methotrexate protocols –single- dose, two-dose, and multiple-dose – are used to manage ectopic pregnancy. There is no consensus on which protocol is best; however, there is a well-established trend of increased effectiveness as well as a greater number of adverse effects with an increase in the number of doses. The overall treatment success of methotrexate is believed to be in the range of 70 to 90%.4

The surgical management of ectopic pregnancy consists of either a salpingostomy, where the contents of the fallopian tube are removed, or salpingectomy, where the fallopian tube itself is removed. Surgery is warranted when an individual has contraindications to medical management, is hemodynamically unstable, has failed medical management, or if surgical management is preferred by the patient after a discussion of the risks and benefits of treatment options.4 Randomized control trials have shown no statistically significant difference in the rates of subsequent intrauterine pregnancy or repeat ectopic pregnancy between the two procedures; however, cohort studies have indicated that salpingostomy is associated with a higher rate of subsequent intrauterine pregnancy and repeat ectopic pregnancy compared to salpingectomy.13 The decision to perform a salpingostomy or salpingectomy depends heavily on the patient’s desire for future pregnancy, clinical stability, and the extent of fallopian tube damage.

CONCLUSION

Given the high morbidity and mortality associated with missed ectopic pregnancy, it is important to maintain a high index of suspicion in biologically female patients of

reproductive age with abdominal or pelvic pain, even in the weeks following recent treatment of ectopic pregnancy. As is evidenced by this case presentation and a brief review of the literature, a diagnosis of unilateral ectopic pregnancy does not preclude an eventual bilateral diagnosis. In the ED specifically, improvement of ultrasound sensitivity and accurate interpretation may allow earlier identification and, hence, treatment of bilateral ectopic pregnancies, which may lead to a more favorable prognosis.

The authors attest that their institution requires neither Institutional Review Board approval, nor patient consent for publication of this case report. Documentation on file.

Address for Correspondence : Dr. Edward J. Durant, Kaiser Modesto, 4601 Dale Road, Modesto, CA 95356 Email: edward.j.durant@kp.org.

Conflicts of Interest: By the CPC-EM article submission agreement, all authors are required to disclose all affiliations, funding sources and financial or management relationships that could be perceived as potential sources of bias. The authors disclosed none.

Copyright: © 2023 Farshidpour et al. This is an open access article distributed in accordance with the terms of the Creative Commons Attribution (CC BY 4.0) License. See: http:// creativecommons.org/licenses/by/4.0/

REFERENCES

1. Kadau JV. Sonographic detection of ovarian ectopic pregnancy: a case study. J Diagn Med Sonogr. 2016;32(5):299-303.

2. Andrews J and Farrell S. Spontaneous bilateral tubal pregnancies: a case report. J Obstet Gynaecol Can. 2008;30(1):51-4.

3. Gathura JE, Elfeky A, McLaren R, et al. Spontaneous bilateral tubal ectopic pregnancy in a low-risk patient: a case report with implications for preoperative patient counseling. Case Rep Obstet Gynecol. 2021;2021:5588869.

4. ACOG Practice Bulletin No. 193: Tubal ectopic pregnancy. Obstet Gynecol. 2018;131(3):e91-103.

5. Mahroofi AD, Alsaqer JK, Alabdulla NS, et al. Case report of spontaneous bilateral ovarian pregnancy in a nulliparous lady. Case Rep Obstet Gynecol. 2021;2021:6670763.

6. Sivalingam VN, Duncan WC, Kirk E, et al. Diagnosis and management of ectopic pregnancy. J Fam Plann Reprod Health Care. 2011;37(4):231-40.

7. Barnhart KT, Fay CA, Suescum M, et al. Clinical factors affecting the accuracy of ultrasonography in symptomatic first-trimester pregnancy. Obstet Gynecol. 2011;117(2 Pt 1):299-306.

8. Zhu B, Xu GF, Liu YF, et al. Heterochronic bilateral ectopic pregnancy after ovulation induction. J Zhejiang Univ Sci B. 2014;15(8):750-5.

9. Sentilhes L, Bouet PE, Jalle T, et al. Ultrasound diagnosis of

Clinical Practice and Cases in Emergency Medicine 14 Volume 7, no. 1: February 2023 Bilateral
11 Days Apart Farshidpour et al.
Tubal Pregnancies Presenting

spontaneous bilateral tubal pregnancy. Aust N Z J Obstet Gynaecol 2009;49(6):695-6.

10. Marpeau O, Barranger E, Cortez A, et al. Bilateral tubal pregnancy after natural conception: a case report. J Reprod Med 2005;50(3):222-4.

11. Ghomian NM and Lotfalizadeh MM. Spontaneous unruptured bilateral tubal pregnancy: a case report. Iran J Med Sci. 2015:40(6):537-40.

12. Gill P, Lende MN, Van Hook JW. Twin births. National Library of Medicine. Available at: https://www.ncbi.nlm.nih.gov/books/ NBK493200/. Accessed March 1, 2022.

13. Cheng X, Tian X, Yan Z, et al. Comparison of the fertility outcome of salpingotomy and salpingectomy in women with tubal pregnancy: a systematic review and meta-analysis. PLoS One 2016;11(3):e0152343.

Volume 7, no. 1: February 2023 15 Clinical Practice and Cases in Emergency Medicine Farshidpour et al. Bilateral Tubal Pregnancies Presenting 11 Days Apart

Mysterious Pelvic Hematoma in a Patient Who Speaks a Rare Ethiopian Dialect: A Case Report

Section Editor: Melanie S. Heniff, MD, JD

Submission history: Submitted April 22, 2022; Revision received October 12, 2022; Accepted October 13, 2022

Electronically published December 29, 2022

Full text available through open access at http://escholarship.org/uc/uciem_cpcem

DOI: 10.5811/cpcem.2022.10.57205

Introduction: In reporting this case of a patient with spontaneous iliac vein rupture, we highlight the importance of maintaining a high clinical suspicion of this vascular emergency in the at-risk patient.

Case Report: A 50-year-old female with an uncommon language barrier presented with left lower abdominal pain after falling. Initial imaging showed pelvic hematoma of unclear etiology. Repeat computed tomography showed expanding hematoma, and after hemodynamic decompensation, exploratory laparotomy revealed a ruptured iliac vein.

Conclusion: Although rare, spontaneous iliac vein rupture has a high mortality rate, even when identified early. This case serves as a reminder to consider this potentially fatal diagnosis in the atrisk group and highlights the need to remain vigilant in patients who present with unexplained shock. Additionally, this case is a reminder of our duty to provide emergency care that transcends language barriers. [Clin Pract Cases Emerg Med. 2023;7(1):16–19.]

Keywords: spontaneous iliac vein rupture; iliac vein rupture; venous rupture; case report.

INTRODUCTION

Spontaneous iliac vein rupture (SIVR) is rare, with less than 50 confirmed cases reported worldwide. Iliac vein rupture is a vascular emergency usually due to trauma and/or iatrogenic cause. The exact etiology of SIVR is largely unknown, although several predisposing factors have been proposed. These include venous obstruction such as can be seen in May-Thurner syndrome (MTS) or Cockett syndrome, as well as deep vein thrombosis (DVT), thrombophlebitis, or other acquired or primary coagulopathy.1 Untreated iliac vein rupture can be lethal, due to catastrophic hemorrhage. However, the survival rate may be as high as 71-79% if immediately recognized.2 Many of these patients undergo exploratory laparotomy to manage unexplained hemorrhagic shock. In most cases of SIVR, the diagnosis is made during exploratory laparotomy. In this case report, we examine a case of SIVR presenting as hemorrhagic shock in a non-Englishspeaking, middle-aged Ethiopian female.

CASE REPORT

An otherwise healthy 50-year-old female presented to the emergency department (ED) via ambulance after a ground-

level fall. She was a non-English speaking Ethiopian who spoke only a native dialect that could not be translated with our services. This language barrier rendered her unable to communicate with the emergency medical services (EMS) workers, emergency physicians, or staff. She had fallen and called her son, who was not at home but who called EMS for her. Upon EMS arrival, the patient was sitting up on the bathroom floor. She was hypotensive with a systolic blood pressure around 90 millimeters of mercury, which improved after intravenous fluid bolus en route to the ED.

The patient’s son eventually arrived in the ED and provided additional history. Per her son, the patient worked in a factory and two days earlier had walked in the rain for about 15 minutes. She had been complaining of left buttock pain since her walk and was now complaining of left lower quadrant (LLQ) abdominal pain since her fall. She had no contributing past medical or surgical history. On exam, she had no signs of external trauma, including no abrasions, contusions, or other skin changes. Her abdomen was soft with tenderness to palpation in LLQ. Neurovascular exam was normal. The pelvis was stable. Extremities exam was normal with soft lower

Clinical Practice and Cases in Emergency Medicine 16 Article in Press Case Report
Orange Park Medical Center, Department of Emergency Medicine, Orange Park, Florida

extremity compartments. The remainder of the physical exam was unrevealing. Initial hematology report revealed mild anemia with hemoglobin/hematocrit (H/H) 10.6/33.9 grams per deciliter (g/dL) (reference range: 11.2-15.7/34.1-44.9 g/dL), lactic acidosis of 4 millimoles per liter (mmol/L) (0.4-2.0 mmol/L), and mild acute renal injury. Chemistry panel was otherwise unremarkable.

Initial computed tomography (CT) with contrast showed a pelvic hematoma with no associated fractures. Focused assessment with sonography in trauma exam was negative for free fluid; however, there was a large heterogenous-appearing mass in the suprapubic area with compression of the bladder similar to what was noted in the CT report (Image 1).

An urgent surgical consult was placed and cystogram was recommended to investigate for possible bladder injury. A foley catheter was inserted with no gross hematuria. During her ED course, she continued to have refractory hypotension despite continued fluid resuscitation. Approximately two hours after arrival, she experienced a vasovagal episode while sitting up and moving around on her stretcher. On re-examination, she was newly diaphoretic, pallid, and altered. Repeat H/H showed significant drop from 10.6/33.6 to 8.0/26.2. Emergent transfusion of two units packed red blood cells (pRBCs) was administered.

The patient’s mental status improved, as did the physical finding of diaphoresis; however, she continued to complain of left lower extremity (LLE) pain. Repeat exam revealed new tense compartments of the entire left leg, with decreased sensation, motor function, and distal pulses in the left leg. On CT angiogram with runoff ordered to investigate arterial patency, the study revealed a significant increase in the size of the pelvic hematoma with mildly diminutive but patent caliber

CPC-EM Capsule

What do we already know about this clinical entity?

We know that spontaneous iliac vein rupture can be fatal if not identified and emergently managed. It is not a common diagnosis in the patient with abdominal pain and hypotension.

What makes this presentation of disease reportable?

We add one more ‘zebra’ to the differential. If untreated, this disease is fatal. Diagnosis is often delayed, contributing to the high morbidity associated with the disease.

What is the major learning point?

This case paints a picture of the typical demographic. It also serves as a reminder of the investigative nature of our specialty, one that has no barriers, be it cultural, language, or identity.

How might this improve emergency medicine practice?

The eye cannot see what the mind does not know.” We hope that dissemination of this case may lead to timely identification with the next presentation, and ultimately improvement of our patients.

of the femoral arteries, tortuous external iliac, and common femoral veins, with findings suggestive of a likely venous or gynecological source (Image 2). The patient continued to be hemodynamically unstable despite additional transfusion of two units of pRBCs.

The decision was made to transport the patient to the operating room (OR) for exploratory laparotomy due to concern for continued intra-abdominal hemorrhage with no identified source. Intra-operatively, she underwent multiple rounds of massive transfusion protocol, and transfusion of frozen plasma for coagulopathy. In the OR, large retroperitoneal, preperitoneal, and pelvic hematomas were confirmed. Approximately one liter of clotted blood was removed from the pelvis. Repeated attempts at hemorrhage control were unsuccessful. Further exploration identified the source of bleeding: The iliac vein was visualized and found to have a large defect in the posterior medial aspect. The iliac vein was ligated successfully with resolution of

Volume 7, no. 1: February 2023 17 Clinical Practice and Cases in Emergency Medicine Eziolisa et al. Mysterious Pelvic Hematoma in a Patient Who Speaks a Rare Ethiopian Dialect
Image 1. Initial computed tomography of the abdomen and pelvis, with pelvic hematoma compressing the bladder and ovaries. Red arrow: compressed and displaced bladder. Dotted circle: forming pelvic hematoma.

bleeding. After hemostasis was achieved, tenseness of the LLE compartments resolved, thereby negating need for fasciotomy. Shock due to intra-abdominal hemorrhage resolved on postoperative day three, and the patient was discharged to home on postoperative day nine, on prophylactic aspirin therapy.

DISCUSSION

Spontaneous iliac vein rupture, a rare vascular emergency, was first reported in 1961.3 Tannous et al1 published 33 cases and a literature review in 2006, and in 2010 Jiang et al2 published a case series that involved nine patients with suspected SIVR, although this was only confirmed by visualization or imaging in five of the nine patients. Largely due to the rarity of SIVR, cases are often complicated by delay in diagnosis and associated with a high mortality rate of 26-29%.1 There is a higher prevalence in women, and the site of vessel compromise was left-sided in 94% of the cases reported by Hosn et al.4 The etiology of SIVR is likely multifactorial. Commonly postulated theories include mechanical factors, such as May-Thurner syndrome, stretched pelvic ligaments due to a multiparous state, inflammatory factors such as thrombophlebitis and DVT, as well as hormonal factors.5 Approximately 76-79% of cases were found to be associated with DVT and mechanical obstruction syndromes such as May-Thurner Syndrome.6 Other contributing factors include venous wall inflammation (due to multiple processes) and increases in intra-abdominal pressure (such as during the Valsalva maneuver). Once ruptured, the resultant hematoma may become large enough to tamponade the vessel, which may

temporize blood loss.

We theorize that our patient presented with initial pelvic hematoma that created tamponade of the iliac vessel allowing for a brief period of stability. When she sat up in bed, the pelvic hematoma was disrupted and the vessel rebled causing acute decompensation.7 As the pelvic hematoma expanded rapidly, she developed acute venous congestion of the LLE leading to leg ischemia and phlegmasia.8 Approximately 30% of SIVR cases occur in patients with no known risk factors. Our patient had no known risk factors for SIVR, except post-menopausal age. While estrogen is pro-coagulopathic, there is a correlation with older females and SIVR.1 Both a lack of risk factors and the difficulty in communication made diagnosis difficult in this patient. Attentive care throughout the patient’s course including frequent reassessments and physical exams resulted in identification of rapid decompensation leading to early exploratory laparotomy and ultimate diagnosis.

The treatment options for SIVR hinge on appropriate and prompt diagnosis and vary depending on the patient’s hemodynamic status. Due to a paucity of cases, there is no uniform method of treatment, although Hosn et al4 published an algorithm of generally accepted options based on reported data of patient outcome. Essentially, if the pathology is quickly identified and the patient is hemodynamically stable, endovascular repair may be successful, while unstable patients require open repair. In this case, the source of bleeding was not clear on initial imaging and her rapid decompensation did not allow for further non-operative diagnostic work-up. This progression is typical of SIVR, with diagnosis often made during exploratory laparotomy. Definitive treatment options include repair of the defect or ligation of the vein. Venous bypass surgery (Palma-Dale procedure) may be performed to decrease likelihood of venous congestion.

CONCLUSION

Spontaneous iliac vein rupture is a vascular emergency with high mortality and up to 50% morbidity.9 It can mimic other “can’t miss” pathologies such as ruptured abdominal aortic aneurysm, ectopic pregnancy, or other gynecological emergencies. Although rare, SIVR should be considered in the differential diagnosis of any older female complaining of left lower quadrant abdominal pain or left lower extremity pain and hypotension. The optimal diagnostic modality is a CT venogram, although a normal CT angiogram in the right clinical scenario can increase the index of suspicion. This case also highlights the importance of frequent examination in all patients, especially in the case of undifferentiated shock. Even more important is the need to maintain a high index of suspicion for dangerous pathology in individuals with barriers to care. This includes disability, age, and in this case, a language barrier. Sickness spares no one, and our clinical acumen must have no disparity.

Patient consent has been obtained and filed for the publication of this case report.

Clinical Practice and Cases in Emergency Medicine 18 Volume 7, no. 1: February 2023 Mysterious Pelvic Hematoma in a Patient Who Speaks a Rare Ethiopian Dialect Eziolisa et al.
Image 2. Repeat computed tomography of the abdomen and pelvis three hours later, with significantly expanded hematoma. Foley in compressed urinary bladder and bladder displaced. Red arrow: Foley in compressed urinary bladder and bladder displaced. Dashed circle: expanded pelvic hematoma.

Address for Correspondence: Obianuju Eziolisa, DO, MS, Orange Park Medical Center, Department of Emergency Medicine, 2001 Kingsley Ave, Orange Park, FL 32073. Email: Obianuju.eziolisa@bcm.edu.

Conflicts of Interest: By the CPC-EM article submission agreement, all authors are required to disclose all affiliations, funding sources and financial or management relationships that could be perceived as potential sources of bias. The authors disclosed none.

Copyright: © 2023 Eziolisa et al. This is an open access article distributed in accordance with the terms of the Creative Commons Attribution (CC BY 4.0) License. See: http://creativecommons.org/ licenses/by/4.0/

REFERENCES

1. Tannous H, Nasrallah F, Marjani M. Spontaneous iliac vein rupture: case report and comprehensive review of the literature. Ann Vasc Surg. 2006;20(2):258-62

2. Jiang J, Ding, X, Zhang G, et al. Spontaneous retroperitoneal hematoma associated with Iliac Vein Rupture. J Vasc Surg 2010;52(2):1278-82.

3. Hossne WS, Nahas PS, Vasconcelos E. Spontaneous rupture of the iliac vein: acute abdomen. Arq Cir Clin Exp. 1961;24:27-30

4. Hosn, MA, Katragunta, N, Kresowik T, et al. May-Thurner syndrome presenting as spontaneous left iliac vein rupture, J Vasc Surg Venous Lymphat Discord. 2016;4:479-81.

5. Joseph R and Owsley J. Spontaneous rupture of the iliac vein, Am J Emerg Med. 2017;35(10):1585e3-1585e4.

6. McCready RA, Kiell CS, Webb TH. Spontaneous iliac vein rupture: an uncommon but frequently lethal event, J Vasc Surg Cases Innov Tech. 2021;7(3):558-62.

7. Damme HV, Hartstein G, Limet R. Spontaneous rupture of the iliac vein. J Vasc Surg. 1993;17:757-8.

8. Chaochankit W and Akaraborworn O. Phlegmasia cerulea dolens with compartment syndrome. Ann Vasc Dis. 2018;11:355-357.

9. Walsh NJ, Schlafstein A, Mentzer CJ, et al. Spontaneous iliac vein rupture. GHS Proc. 2017;2(1)67-9.

Volume 7, no. 1: February 2023 19 Clinical Practice and Cases in Emergency Medicine
et al.
Pelvic Hematoma in a Patient Who Speaks a Rare Ethiopian Dialect
Eziolisa
Mysterious

Rare Adult-onset Citrullinemia Type 1 in the Postpartum Period: A Case Report

Section Editor: Rachel Lindor, MD, JD

Madigan Army Medical Center, Tacoma, Washington

Madigan Army Medical Center, Department of Emergency Medicine, Tacoma, Washington

Submission history: Submitted May 1, 2022; Revision received October 11, 2022; Accepted October 13, 2022

Electronically published January 24, 2023

Full text available through open access at http://escholarship.org/uc/uciem_cpcem

DOI: 10.5811/cpcem.2022.10.57277

Introduction: Citrullinemia type 1 (CTLN1) is a urea cycle disorder caused by defective argininosuccinate synthetase leading to impaired ammonia elimination. Urea cycle disorders are typically diagnosed on neonatal screening but rarely can lie dormant until a metabolic stressor causes initial onset of symptoms in adulthood.

Case Report: A 23-year-old female presented four days postpartum to the emergency department (ED) obtunded and declined to the point of requiring intubation. Labs revealed hyperammonemia, and she was subsequently found to have CTLN1.

Conclusion: Urea cycle disorders presenting in adulthood are a rare etiology for the common ED complaint of altered mental status. The low incidence makes these treatable disorders easy to overlook leading to potentially significant morbidity and mortality. Therefore, it is important to recognize the risk factors that can trigger an acute metabolic derangement. This case highlights common risk factors for metabolic stress, possible presenting symptoms, and the positive outcome achievable when recognized and treated in a timely fashion. [Clin Pract Cases Emerg Med. 2023;7(1):20–23.]

Keywords: case report; citrullinemia type 1; urea cycle disorder; hyperammonemia.

INTRODUCTION

Citrullinemia type 1 (CTLN1) is one of six principal urea cycle disorders (UCD) most often diagnosed during infancy. Despite all 50 states in the United States currently screening for CTLN1, many silent or mild cases are likely not detected with current methods.1 Rarely, UCDs present in adulthood following a stressor or metabolic change causing the rate of ammonia production to exceed the rate of urea metabolism. When the defective enzyme cannot adequately compensate, the imbalance may manifest with the clinical features lethargy, slurred speech, cerebral edema, and asterixis.2 With altered mental status being a frequent emergency department (ED) complaint and often not allowing for a complete history, UCDs pose a difficult and rare diagnostic challenge to the emergency physician.

Prompt recognition and dietary changes portend a good prognosis, while untreated accumulation of ammonia can result in death or permanent disability.2 Currently, the

diagnosis can be made with urine and plasma amino acid levels, and confirmed with either tissue enzyme activity testing or argininosuccinate synthetase 1 gene mutation analysis.3 None of these results are immediately available to the emergency physician making a definitive diagnosis impossible. Therefore, prompt treatment requires recognizing metabolic risk factors and obtaining proper labs. Often, an elevated ammonia level will point to the diagnosis and allow for empiric hyperammonemia treatment. We present a case of a postpartum mother in the ED with altered mental status subsequently discovered to have CTLN1.

CASE REPORT

A 23-year-old female presented via emergency medical services (EMS) for slurred speech, irregular behavior, and vision changes. Initial vitals were blood pressure 122/78 millimeters of mercury, heart rate of 58 beats per minute

Clinical Practice and Cases in Emergency Medicine 20 Article in Press Case Report
* †

(min), respiratory rate of 14 breaths per min, oxygen saturation of 98% on room air, and rectal temperature of 35.8 C. She was opening her eyes to pain, yelling incomprehensibly, and experiencing localized pain for a Glasgow Coma Scale of 9. Per EMS report, she had been in her usual state of health 10 hours previously after driving herself home from visiting her newborn in the neonatal intensive care unit (NICU). She was found at home by her spouse speaking unintelligibly and appeared lethargic.

Initial EMS scene assessment noted dilated pupils bilaterally, confused speech, and somnolence with a complaint of scotomas. History obtained from family revealed a remote history of seizures currently not requiring an antiepileptic. She had also delivered four days prior at 34 weeks and four days gestation due to preterm premature rupture of membranes (PPROM). Family history was noncontributory. Remarkable findings on ED exam include clammy, pale skin, 6-millimeter bilateral reactive pupils, and appropriate reflexes, but she was uncooperative with full neurological exam. Electrocardiogram displayed sinus bradycardia in a nonischemic pattern.

Laboratory studies revealed aspartate aminotransferase (AST) 86 units per liter (U/L) (reference range: 8-36 U/L); alanine transaminase (ALT) 97 U/L (4-36 U/L); alkaline phosphatase 209 U/L (20-130 U/L); albumin 2.6 grams per deciliter (g/dL) (34-54 g/dL); total protein 5.4 g/dL (6.0-8.3 g/dL); blood urea nitrogen 4.0 milligrams (mg)/dL (6-20 mg/dL); and bilirubin 0.30 mg/dL (0.1-1.2 mg/dL). Serum lactic acid was 2.3 millimoles per liter (mmol/L) (0.5-2.2 mmol/L); international normalized ratio (INR) was 2.2; haptoglobin 98 mg/dL (30-200 mg/dL); and ammonia level was 158 micromoles (μmol)/L (11-32 μmol/L). A urine drug screen was negative. Serum samples contained undetectable ethanol, salicylate, and acetaminophen levels. Imaging ordered included a non-contrast computed topography (CT) head and a contrast CT of the abdomen and pelvis that displayed no acute intracranial or intra-abdominal processes. Abdominal ultrasound revealed nonspecific fatty changes in the liver. Due to rapidly declining mentation with inability to protect her airway she was intubated and admitted to the intensive care unit (ICU) on empiric antibiotics.

In the ICU, lactulose therapy was started for hepatic encephalopathy secondary to suspected fatty liver of pregnancy. She was continued on broad spectrum antibiotics and antivirals for encephalitis coverage until completion of an unremarkable brain magnetic resonance imaging, extubation, and mental status improvement on ICU day two. Serum ammonia continued to rise to 400 μmol/L despite lactulose therapy and steadily improving neurological status over the following days. Gastroenterology consultation suggested the possibility of a UCD and recommended serum and urine amino acid testing.

On admission day seven, urine amino acid results showed elevated citrulline at 17,677 μmol/g creatine (μmol/g cr) (Ref: 1.0-27.4 umol/g cr). On hospital day eight, genetic testing revealed two separate mutations of the ASS1 gene encoding

CPC-EM Capsule

What do we already know about this clinical entity?

Citrullinemia is an autosomal recessive disorder that is caused by impaired argininosuccinate synthetase. The majority of cases are diagnosed in infancy.

What makes this presentation of disease reportable?

It is not commonly known that one may live completely asymptomatically with the milder forms of this condition until a metabolic stressor.

What is the major learning point?

Recognize metabolic stressors such as pregnancy as compared to the presentation with other liver diseases that present in the peripartum period.

How might this improve emergency medicine practice?

This case shows the importance of keeping a broad differential when the presentation does not fit a more commonly seen pattern.

argininosuccinate synthetase, confirming the diagnosis of CTLN1. Management was switched from lactulose therapy to sodium phenylbutyrate and arginine. Despite downtrending ammonia levels, liver function tests (LFT) continued to climb to a peak of ALT 1,868 U/L and AST of 1745 U/L on day nine, prompting transfer to a transplant center. At the transplant center, the patient remained asymptomatic and LFTs downtrended until she was eventually discharged on sodium phenylacetate-sodium benzoate, a strict low-protein diet, and recommendation to avoid future pregnancy.

DISCUSSION

Urea cycle disorders are better known to pediatric physicians as they most commonly present in the neonatal period and are thought to occur in roughly 1/8,000 births.4 With unreliable screening mechanisms for mild or silent forms, many remain undetected until severe presentation with severe multiorgan dysfunction in adulthood following metabolic stress.1 While this case included prompt supportive care and admission to the ICU, any prolonged boarding time, healthcare access issues, or failure to consider this rare diagnosis may have progressed to fulminant liver failure.

Volume 7, no. 1: February 2023 21 Clinical Practice and Cases in Emergency Medicine Borsuk et al. Rare Adult-onset Citrullinemia Type 1 in the Postpartum Period

Citrullinemia type 1 and other hereditary enzyme deficiencies can be exacerbated in the setting of an acute stressor that causes increased metabolism. Aside from the more likely considered diagnoses , the potential for an underlying predisposition to metabolic derangement in adulthood should be considered by the emergency physician. This may allow for better direction of treatment by the admitting service or consultant. These treatments are often simple to implement. For example, in milder CTLN1 only dietary changes are necessary. Understanding UCDs and treatment requires understanding the deficient enzyme’s role.

The urea cycle eliminates ammonia from protein breakdown by converting it to urea for excretion in the urine. Catabolic metabolic states increase the production of ammonia from protein breakdown that can potentially overload the less abundant or defective enzyme in pathologic states. Conditions that cause increased protein breakdown include high protein diet, prolonged starvation, infection, drugs, and physical exertion. This patient had significant metabolic changes prior to presentation given her recent PPROM delivery and the associated highly catabolic state. Likewise, she potentially underwent decreased oral intake in the days prior to her ED presentation, given her frequent visits to the NICU, and later during her subsequent ICU admission. This case exemplifies why it may be efficacious to acquire a serum ammonia level as part of the workup in patients exhibiting altered mental status with elevated LFTs and no known history of liver disease.

In this case, metabolic disorders were considered when the common etiologies were excluded. This included ruling out hypoglycemia, normal imaging ruling out any acute intracranial or intra-abdominal processes, low suspicion for ingestion given no toxidrome and negative toxicology labs, and no significant electrolyte abnormalities. The lab abnormalities did not fit a primary epileptic or psychological etiology. The diagnosis came down to differentiating a metabolic disorder from other liver diseases in pregnancy such as hemolysis, elevated liver enzymes, low platelets (HELLP) syndrome, eclampsia, and acute fatty liver of pregnancy (AFLP).

Unfortunately, metabolic disorders presenting as liver failure share many features with other diseases in pregnancy. The main three to consider are eclampsia, HELLP syndrome, and AFLP. There are many overlapping features because all can present elevated LFTs and liver synthesis abnormalities seen on labs. One of the first ways to differentiate is blood pressure. Hypertension is almost always present in eclampsia and usually present in HELLP and AFLP. Next is to look for hemolysis. This case showed elevated liver enzymes, elevated ammonia, elevated INR, and elevated lactate dehydrogenase that presented a potential hemolytic picture also seen in HELLP and AFLP. Unlike in patients with HELLP and AFLP, our patient was normotensive with normal platelets and haptoglobin. In this

case a peripheral smear would have been useful to look for schistocytes. It is also important to note that fatty changes in the liver as seen in this case are not specific and not diagnostic for AFLP.

It may be unreasonable to differentiate these different conditions with certainty in the ED; however, the emergency physician should consider metabolic disorders because there are interventions that if initiated early can alter the clinical course. In this case, intubation and sedation likely decreased metabolic activity and ammonia load allowing the urea cycle to achieve homeostasis. The reasonable clinical decision to keep her nil per os until resuming a regular diet prevented further protein introduction and subsequent ammonia production. Conversely, the absence of carbohydrates ensured continued catabolism for gluconeogenesis. The net effect of these counterbalancing considerations cannot be measured except by clinical improvement.

If immediate transfer or admission is not possible, management must start in the ED. A rapidly declining patient might prompt consideration of dialysis for hyperammonemia. However, emergent dialysis also removes glucose that can worsen the catabolic state if not repleted. Frequent monitoring of ammonia levels is recommended since reversal of the metabolic state often takes multiple days. The recommended treatment for undifferentiated UCDs is sodium phenylacetate-sodium benzoate and arginine, which works by binding ammonia for removal and shunting ammonia down an alternate pathway from the urea cycle.3 If sodium phenylacetate-sodium benzoate is not available, transfer may be considered while awaiting results of the urine/ serum amino acid levels or genetic testing.

CONCLUSION

Citrullinemia type 1 and other underlying metabolic defects must be considered by the emergency physician caring for a patient such as in this case. This case serves as an example to maintain a wide differential and obtain appropriate testing when the history, exam, and initial labs demonstrate peculiarities that may demonstrate a metabolic abnormality. Were her presentation milder, not warranting intubation and ICU admission, her course may have continued with progressive undiagnosed hepatic dysfunction. Luckily for this patient, she recovered thanks to prompt discovery in her obtunded state by her husband, and successful diagnosis by our critical care and gastroenterology colleagues. In the future, improved genetic testing and genome mapping may make awareness of these indolent metabolic decompensations more apparent and less frequent. In the meantime, as technology races toward these solutions, astute emergency physicians can provide the initial stabilization and work-up as they have for decades with similarly undifferentiated patients.

Clinical Practice and Cases in Emergency Medicine 22 Volume 7, no. 1: February 2023 Rare Adult-onset Citrullinemia Type 1 in the Postpartum Period Borsuk et al.
The Institutional Review Board approval has been documented and filed for publication of this case report.

Address for Correspondence: Michael Borsuk, DO, Carl R. Darnall Army Medical Center, 36065 Santa Fe Ave, Fort Hood, TX 76544. Email: Michael.a.borsuk.mil@mail.mil.

Conflicts of Interest: By the CPC-EM article submission agreement, all authors are required to disclose all affiliations, funding sources and financial or management relationships that could be perceived as potential sources of bias. The authors disclosed none. The views expressed here are those of the authors and do not reflect the official policy of the Department of the Army, the Department of Defense, or the U.S. Government.

Copyright: © 2023 Borsuk et al. This is an open access article distributed in accordance with the terms of the Creative Commons Attribution (CC BY 4.0) License. See: http://creativecommons.org/ licenses/by/4.0/e

REFERENCES

1. Rüfenacht V and Häberle J. Mini-review: challenges in newborn screening for urea cycle disorders. Int J of Neonatal Screening 2015;1(1):27-35.

2. Walker V. Severe hyperammonaemia in adults not explained by liver disease. Ann Clin Biochem. 2012;49(3):214-28.

3. Quinonez SC and Thoene JG. Citrullinemia type I. In: Adam MP, Ardinger HH, Pagon RA, et al., eds. GeneReviews. Seattle (WA): University of Washington, Seattle; July 7, 2004.

4. Bonnot O, Herrera PM, Tordjman S, et al. Secondary psychosis induced by metabolic disorders. Front Neurosci. 2015;9:177.

5. Ninan J and Feldman L. Ammonia levels and hepatic encephalopathy in patients with known chronic liver disease. J Hosp Med 2017;12(8):659-61.

Volume 7, no. 1: February 2023 23 Clinical Practice and Cases in Emergency Medicine
Borsuk et al.
Rare Adult-onset Citrullinemia Type 1 in the Postpartum Period

A Rare Cause of Headache and an Unorthodox Transfer: A Case Report

Section Editor: R.

University of Alabama at Birmingham, Department of Emergency Medicine, Birmingham, Alabama

Baptist Memorial Hospital – Golden Triangle, Department of Emergency Medicine, Columbus, Mississippi

University of Alabama at Birmingham, Department of Neurosurgery, Birmingham, Alabama

Submission history: Submitted May 24, 2022; Revision received September 26, 2022; Accepted October 3, 2022

Electronically published January 11, 2023

Full text available through open access at http://escholarship.org/uc/uciem_cpcem

DOI: 10.5811/cpcem.2022.10.57491

Introduction: Emergency department (ED) crowding and hospital diversion times are increasing nationwide, with negative effects on patient safety and an association with increased mortality. Crowding in referral centers makes transfer of complex or critical patients by rural emergency physicians (EP) more complicated and difficult. We present a case requiring an unorthodox transfer method to navigate extensive hospital diversion and obtain life-saving neurosurgical care.

Case Report: We present the case of a previously healthy 21-year-old male with two hours of headache and rapid neurologic decompensation en route to and at the ED. Computed tomography revealed obstructive hydrocephalus recognized by the EP, who medically managed the increased intracranial pressure (ICP) and began the transfer process for neurosurgical evaluation and management. After refusal by six referral centers in multiple states, all of which were on diversion, the EP initiated an unorthodox transfer procedure to the institution at which he trained, ultimately transferring the patient by air. Bilateral external ventricular drains were placed in the receiving ED, and the patient ultimately underwent neurosurgical resection of an obstructive colloid cyst.

Conclusion: First, our case illustrates the difficulties faced by rural EPs when attempting to transfer critical patients when large referral centers are refusing transfers and the need for improvements in facilitating timely transfers of critically ill, time-sensitive patients. Second, EPs should be aware of colloid cysts as a rare but potentially catastrophic cause of rapid neurologic decline due to increased ICP, and the ED management thereof, which we review. [Clin Pract Cases Emerg Med. 2023;7(1):24–28.]

Keywords: boarding; transfer; colloid cyst; intracranial hypertension; case report.

INTRODUCTION

Nationwide, there has been a significant increase in hospital diversion times and emergency department (ED) crowding that has direct negative effects on patient safety, health, and quality of service and is associated with increased mortality.1 Crowding is also associated with delays in timesensitive treatments, increased preventable errors,2 poor compliance with recommended care, increased hospital stays and costs, and increased stress for healthcare workers.3,4 Prior to the coronavirus 2019 (COVID-19) pandemic, ED visits

increased over 60% since 1997 to approximately 146 million, with nearly 46 visits per 100 persons in 2016.5 Boarding issues have only worsened since the COVID-19 pandemic, while simultaneously increasing overall ED patient lengths of stay.6

Boarding and crowding in referral centers increases the difficulties and delays faced by rural emergency physicians (EP) and EDs in transferring complex, often critically ill patients to those centers for definitive care. The COVID-19 pandemic has exacerbated these issues and made the transfer process an even more difficult one. We present a case

Clinical Practice and Cases in Emergency Medicine 24 Volume 7, no. 1: February 2023 Case Report
* † ‡

requiring an unorthodox transfer method to obtain life-saving neurosurgical care.

CASE REPORT

A 21-year-old male with no past medical history presented to a rural ED with severe headache and decreased level of consciousness. He was brought by his friend, who stated the patient complained of a headache that began two hours prior to arrival while he was working at a local grocery store. En route, he acutely developed slurred speech and became unresponsive in the vehicle. There was no history of trauma, fevers, or illicit drug use.

The patient’s initial heart rate was 137 beats per minute (bpm), blood pressure 159/85 millimeters of mercury (mm Hg), and respiratory rate 17 breaths per minute, with a room-air oxygenation saturation of 100%. The patient was not following commands, but he opened his eyes to pain, and moved all extremities. He did not respond to verbal stimuli. His Glasgow Coma Scale was calculated to be eight. Corneal, gag, and cough reflexes were intact. Pupils were 3 millimeters and reactive bilaterally. Fundoscopic exam was not performed.

The patient was intubated on arrival for airway protection. Laboratory tests were unremarkable other than a lactic acidosis of 4.8 millimoles/liter (mmol/L) (reference range: 0.0-2.2 mmol/L), increasing to 7.8 mmol/L three hours later. Non-contrasted computed tomography (CT) of the head (Image 1) was obtained and recognized as hydrocephalus by

CPC-EM Capsule

What do we already know about this clinical entity?

Colloid cysts are a rare cause of headache causing potentially catastrophic neurologic decompensation and requiring extensive resuscitation and neurosurgical intervention.

What makes this presentation of disease reportable?

This case required extensive ED management of increased intracranial pressure due to a colloid cyst, as well as an unorthodox transfer technique in order to obtain definitive therapy.

What is the major learning point?

Emergency physicians must be facile in the management of increased intracranial pressure, and creative and persistent in navigating logistical challenges in the era of hospital diversion.

How might this improve emergency medicine practice?

We hope our case will educate emergency physicians in the management of increased intracranial pressure, as well as illustrate the need for improvements in the current hospital transfer system.

After CT, the patient developed decorticate posturing and was administered a bolus of 250 milliliters (mL) of 3% hypertonic saline, the head of his bed was raised to 30 degrees, propofol infusion was increased, and fentanyl infusion was added. The patient’s heart rate increased to 167 bpm, and blood pressure increased to 232/143 mm Hg with the right pupil dilated and unresponsive. A one gram per kilogram bolus of 20% mannitol and additional bolus 250 mL of 3% saline were administered.

the EP. No neurosurgical service was available at the ED, so the transfer process was initiated. The EP called the transfer centers of six hospitals with neurosurgical services across multiple states, none of which could accept the transfer.

After multiple failed attempts at transfer, the EP called the unpublished number of the attending EP workstation at the institution where he had trained, and that institution eventually received the patient and requested assistance. Typically, transfers to the accepting facility are routed through a transfer call center, which contacts the attending physician for the specialty service, who discusses the case with the transferring physician and arranges further care. If the required higher level of service is unavailable, the transfer call center prevents the transfer without input from accepting services. In this case, the transferring EP was unable to communicate directly with the attending neurosurgeon because the neurological intensive care unit

Volume 7, no. 1: February 2023 25 Clinical Practice and Cases in Emergency Medicine Burleson et al. Rare Cause of Headache and an Unorthodox Transfer
Image 1. Axial computed tomography revealing enlarged lateral ventricles (white arrows) and hydrocephalus. No dilation of third or fourth ventricles or definitive signs of herniation were noted.

Rare Cause of Headache and an Unorthodox Transfer

(ICU) was full, and the transfer call center followed established protocol and refused the transfer.

The receiving EP and the attending neurosurgeon discussed the time-sensitive, life-threatening nature of the case and the difficulties in transfer. The neurosurgeon accepted the patient to the ED and began treatment there. A neurosurgery resident and a neurologic ICU nurse were made available to treat the patient in the ED while preparations were made to find a neurologic ICU bed. The patient was flown by helicopter to the accepting facility.

Emergent bedside bilateral external ventricular drains (EVD) were placed (Image 2) on arrival to the accepting ED.

critically ill, time-sensitive patients. Second, EPs should be aware of colloid cysts as a rare (incidence about 3.2 per million per year)7 but potentially catastrophic cause of rapid neurologic decline due to increased intracranial pressure (ICP), and the ED management thereof.

Magnetic resonance imaging of the head revealed a colloid cyst obstructing the bilateral foramen of Monro, resulting in hydrocephalus (Image 3A and 3B). The cyst was resected via craniotomy. The patient was discharged with profound neurological disability after a prolonged inpatient stay to an inpatient rehabilitation facility. Five months after discharge, he followed commands, verbally responded to binary questions, fed himself, and stood with physical therapy assistance.

DISCUSSION

This case highlights two pertinent points. First, it illustrates the difficulties faced by rural EPs attempting to transfer critical patients when many of the large academic referral centers or regional hospitals are on diversion and refusing transfers, and the need for improvements in facilitating timely transfers of

Interhospital transfers in the United States are regulated by the Emergency Medical Treatment and Active Labor Act (EMTALA). This act was initially intended to prevent “patient dumping” or the medically unnecessary transfer of patients for strictly financial or insurance reasons.8 Hospitals receiving funding from the Centers of Medicare and Medicaid Services face three obligations under EMTALA.8 First, they must provide a medical screening exam by qualified medical personnel to determine whether an emergency medical condition (EMC) is present. Secondly, if an EMC is present, the patient must be stabilized or transferred. Finally, referral hospitals with specialized services (such as neurologic ICUs and neurosurgery) must accept transfers of patients with EMCs without regard to financial or insurance considerations. In addition, several criteria must be met for a transfer to be “appropriate”:9 the transferring hospital must treat and stabilize to minimize the risk of transfer; the receiving hospital must have space and qualified personnel and agree to the transfer; the transferring facility must send all relevant documentation; and the transfer must take place through the use of qualified personnel and appropriate transportation equipment, Several of these regulations are relevant to our case. The transferring facility and EP fulfilled all obligations under EMTALA prior to transfer, including aggressive stabilizing resuscitation and the use of critical care air transport, the highest level available. The receiving hospital did not initially have the requisite space in the neurological ICU to render the transfer “appropriate,” and the transfer call center could not agree to it. After discussion between the receiving EP and the attending neurosurgeon, space was found in the ED with plans to move the patient as quickly as possible to the neurologic ICU and neurosurgical care was available on arrival and throughout the patient’s stay in the accepting ED. With

Clinical Practice and Cases in Emergency Medicine 26 Volume 7, no. 1: February 2023
et al.
Burleson
Image 2. Axial computed tomography after bilateral external ventricular drains (white arrows) were placed, with post-procedural epidural hematomas (white triangle) and pneumocephalus (black arrows).
A
Image 3. A) Sagittal and B) axial magnetic resonance image of the brain revealing 18.2-millimeter T1 hyperdense colloid cyst (white arrows) obstructing bilateral foramina of Monro.

adequate space and personnel assured and agreement from the neurosurgical team, the transfer could proceed.

While this unorthodox transfer may be deemed legally “appropriate,” our patient almost died while waiting for any referral hospital to accept him in transfer. The only way the patient was treated in a timely manner was to “go around” the transfer system and directly call an EP personally known to transfer the patient from ED to ED with approval of the on-call neurosurgeon. While no individual neurosurgeon would likely refuse such a patient, the current transfer system does not allow for clinicians from external facilities to directly discuss cases and any attempts to accept transfers are often left to transfer centers, not clinicians. If the hospital is on diversion, then the transfer is denied. These transfer centers were designed with good intentions to streamline and centralize transfers to referral centers, and to help alleviate crowding at these centers by preventing “unnecessary” transfers or those for which there were not adequate resources. However, in certain cases, the transfer center pathway may exacerbate the problem faced by rural EPs. Every hospital system having a slightly different transfer pathway may also increase the difficulties faced by transferring EPs.

Rural EPs must also contend with geography during the transfer process. In many regions of the US, there may only be one academic or referral center for an entire state or even a region of several states. This fact likely increases transport time and distance. If that one center is on diversion, then the transport difficulties are even further exacerbated.

The time, effort, and frustration that occurs while attempting to get acceptance for a transfer is both demoralizing for EPs and potentially dangerous for patients. This excludes the time spent away from other active patients present in the ED, which can exacerbate already stressed and overpopulated EDs.3,10 This case highlights the difficulties that rural EPs face when not just one but six hospitals were unable to accept a transfer and the potentially fatal consequences when hospital systems are full beyond capacity. It is likely that cases such as this will continue to occur until systemwide improvements in boarding, diversion, and transfers are implemented.

Especially with prolonged transport, transfer, or boarding times, EPs may be responsible for managing patients with increased ICP for prolonged periods. Several measures may temporize patients with increased ICP until definitive neurosurgical intervention. Early consideration of intubation is critical.11,12 Adequate sedation and analgesia may control agitation and ventilator dyssynchrony, which increase ICP.12,13 Head of bed elevation with neutral neck positioning can optimize cerebral venous outflow.11-13 Optimization of blood pressure and temperature are associated with improved neurologic outcomes and mortality.12 Hypertension should be managed with titratable, short-acting antihypertensives, such as labetalol, nicardipine, or clevidipine, avoiding hypotension and reduction in cerebral perfusion.12 Normothermia (36-37.5°C) should be

maintained through the use of acetaminophen or active cooling.12 Correction of coagulopathy may expedite neurosurgical treatment when available.

Hyperosmolar therapy may decrease cerebral edema and ICP temporarily by drawing interstitial fluid into systemic circulation.11,12 The two mainstays of treatment are mannitol and hypertonic saline.14 However, mannitol is contraindicated in patients with renal failure and may result in hypotension. 12 Hypertonic saline is commonly administered as 3% sodium chloride (NaCl) 250-500 mL bolus, followed by infusion, but can be given in bolus concentrations as high as 23.4% NaCl (typical dose 30 mL) with central access.11

Hyperventilation can provide short-term ICP decrease due to cerebral vasoconstriction in response to hypocarbia.12,13 Effects are almost immediate but short lived, and may lead to cerebral ischemia;11,12so, hyperventilation is not recommended for routine management of ICP elevation except as an extremely short-term bridge to definitive neurosurgical treatment.

Further management of elevated ICP is dependent on the etiology. Corticosteroids can improve vasogenic edema in patients with brain tumors or abscesses, although worse outcomes are associated with steroids in traumatic brain injury and stroke.15,16 In cases of decompensated hydrocephalus, emergent diversion of cerebrospinal fluid (CSF), typically by EVD placement, is necessary to relieve ICP elevation. Bilateral EVDs can be required for third ventricular lesions that occlude the bilateral foramen of Monro,13 as in this case (Image 2).

Definitive management of symptomatic colloid cysts causing obstructive hydrocephalus incudes cyst removal or fenestration, permanent CSF diversion via ventriculoperitoneal shunt, or both.17 The Colloid Cyst Risk Score can be used to determine the risk for hydrocephalus and, therefore, the need for treatment of minimally symptomatic or asymptomatic colloid cysts.7

CONCLUSION

This case illustrates the difficulties faced by rural emergency physicians when attempting to transfer critical patients when large referral centers and regional medical centers are at full capacity and refusing transfers, and the need for improvements in facilitating timely transfers of critically ill, time-sensitive patients. Additionally, EPs should be aware of colloid cysts as a rare but potentially catastrophic cause of rapid neurologic decline due to increased intercranial pressure requiring emergency neurosurgical evaluation and possible surgery. The ED management of colloid cysts and increased ICP is reviewed.

ACKNOWLEDGMENTS

The authors would like to acknowledge Mahmeri Okor, MD, for his assistance in facilitating an unorthodox transfer and his expert and compassionate neurosurgical care.

Volume 7, no. 1: February 2023 27 Clinical Practice and Cases in Emergency Medicine Burleson et al. Rare Cause of Headache and an Unorthodox Transfer

The authors attest that their institution requires neither Institutional Review Board approval, nor patient consent for publication of this case report. Documentation on file.

Address for Correspondence: Samuel L. Burleson, MD, University of Alabama at Birmingham, Department of Emergency Medicine, 701 20th St. S, Administration Building 1320B, Birmingham, AL, 35222. Email: slburleson@uabmc.edu

Conflicts of Interest: By the CPC-EM article submission agreement, all authors are required to disclose all affiliations, funding sources and financial or management relationships that could be perceived as potential sources of bias. The authors disclosed none.

Copyright: © 2023 Burleson et al. This is an open access article distributed in accordance with the terms of the Creative Commons Attribution (CC BY 4.0) License. See: http://creativecommons.org/ licenses/by/4.0/

Physicians Open. 2021;2(3):c12489.

7. Beaumont TL, Limbrick DD, Rich KM, et al. Natural history of colloid cysts of the third ventricle. J Neurosurg. 2016;125(6):1420-30.

8. Warby R and Borger J. EMTALA and transfers. In: StatPearls Treasure Island (FL): StatPearls Publishing; February 17,2022. Available at: https://www.statpearls.com/ArticleLibrary/ viewarticle/63681. Accessed December 31, 2022.

9. Smith JM. EMTALA basics: What medical professionals need to know. Emergency Medical Treatment and Active Labor Act. J Natl Med Assoc. 2002;94(6):426-9.

10. American College of Emergency Physicians. Emergency Department Crowding: High-Impact Solutions. 2016. Available at: https://www. acep.org/globalassets/sites/acep/media/crowding/empc_crowdingip_092016.pdf. Accessed September 26, 2022.

11. Changa AR, Czeisler BM, Lord AS. Management of elevated intracranial pressure: a review. Curr Neurol Neurosci Rep 2019;19(12):99.

REFERENCES

1. Berg LM, Ehrenberg A, Florin J, et al. Associations between crowding and ten-day mortality among patients allocated lower triage acuity levels with need of acute hospital care on departure from the emergency department. Ann Emerg Med. 2019;74(3):345-56.

2. Epstein SK, Huckins DS, Liu SW, et al. Emergency department crowding and risk of preventable medical errors. Intern Emerg Med 2012;7(2):173-80.

3. Kelen G, Peterson S, Pronovost P. In the name of patient safety, let’s burden the emergency department more. Ann Emerg Med 2016;67:737-40.

4. Morley C, Unwin M, Peterson M, et al. Emergency department crowding: a systematic review of causes, consequences, and solutions. PLoS One 2018;13(8):e0203316.

5. Centers for Disease Control and Prevention. National Hospital Ambulatory Medical Care Survey: 2016 Emergency Department Summary Tables. 2021. Available at: https://www.cdc.gov/nchs/data/ nhamcs/ web_tables/2016_ed_web_tables.pdf. Accessed June 6, 2022.

6. Lucero A, Sokol K, Hyun J. Worsening of emergency department length of stay during the COVID-19 pandemic. J Am Coll Emerg

12. Schizodimos T, Soulountsi V, Iasonidou C, et al. An overview of management of intracranial hypertension in the intensive care unit. J Anesth. 2020;34(5):741-57.

13. Czosnyka M, Pickard JD, Steiner LA. Principles of intracranial pressure monitoring and treatment. Handb Clin Neurol. 2017;140:67-89.

14. Gu J, Huang H, Huang Y, et al. Hypertonic saline or mannitol for treating elevated intracranial pressure in traumatic brain injury: a meta-analysis of randomized controlled trials. Neurosurg Rev 2019;42(2):499-509.

15. Roberts I, Yates D, Sandercock P, et al; CRASH trial collaborators. Effect of intravenous corticosteroids on death within 14 days in 10008 adults with clinically significant head injury (MRC CRASH trial): randomised placebo-controlled trial. Lancet. 2004;364(9442):1321-8.

16. Powers WJ, Rabinstein AA, Ackerson T, et al. Guidelines for the Early Management of Patients with Acute Ischemic Stroke: 2019 Update to the 2018 Guidelines for the Early Management of Acute Ischemic Stroke: A Guideline for Healthcare Professionals From the American Heart Association/American Stroke Association. Stroke 2019;50(12):e344-e418.

17. Jenkinson MD, Mills S, Mallucci CL, et al. Management of pineal and colloid cysts. Pract Neurol. 2021;21(4):292-9.

Clinical Practice and Cases in Emergency Medicine 28 Volume 7, no. 1: February 2023
Cause of Headache and an Unorthodox Transfer Burleson et al.
Rare

Emergency Department Treatment Provides Immediate and Durable Relief Following Vaccine Injury: A Case Report

University of Colorado Health System, Department of Emergency Medicine, Loveland, Colorado

St. Charles Health System, Department of Emergency Medicine, Bend, Oregon University of Colorado School of Medicine, Department of Emergency Medicine, Aurora, Colorado

Submission history: Submitted June 7, 2022; Revision received October 14, 2022; Accepted November 1, 2022

Electronically published January 24, 2023

Full text available through open access at http://escholarship.org/uc/uciem_cpcem

DOI: 10.5811/cpcem.2022.11.57642

Introduction: Intramuscular administration of vaccines into the deltoid muscle is the recommended route for most vaccines in adults. Ectopic injection into the subdeltoid/subacromial bursa can produce an inflammatory bursitis that is associated with significant long-term morbidity

Case Report: We describe a novel approach to treatment of this condition: ultrasound-guided administration of dexamethasone by the emergency physician within six hours of vaccine administration. This approach resulted in complete and durable long-term resolution of symptoms with no functional impairment.

Conclusion: This outcome is superior to that described for usual care, and the approach is wellsuited to emergency physicians. [Clin Pract Cases Emerg Med. 2023;7(1):29–32.]

Keywords: vaccine; shoulder injury related to vaccine administration (SIRVA); mass vaccination; ultrasound; case report.

INTRODUCTION

Routine immunization, when performed correctly, is extremely safe and effective at preventing numerous diseases. Intramuscular injection into the deltoid is the recommended route of administration for most vaccines in adults.1

Inadvertent administration of a vaccine dose into the subacromial/subdeltoid bursa can produce a syndrome of severe inflammatory bursitis that can have significant longterm consequences.2–5 Identification of this condition is typically delayed, and treatment, administered weeks to months after the vaccination, is not reliably curative.3

In this case report, we describe a novel approach to this condition. An 83-year-old female presented to the emergency department (ED) with suspected shoulder injury related to vaccine administration (SIRVA) following administration of a seasonal influenza vaccine. She was treated by the emergency physician with ultrasound-guided corticosteroid injection within six hours of the vaccination. In contrast with the

prolonged and incomplete recovery typically described, this patient experienced complete resolution of pain and restored range of motion within 24 hours. The patient remained asymptomatic at three-month follow-up.

CASE REPORT

An 83-year-old woman was administered an unspecified influenza vaccine into her right upper arm during a routine visit to her primary care office. She presented to the emergency department (ED) approximately four hours thereafter out of concern for severe and progressive pain in the shoulder. Her pain was located in the shoulder joint globally and was exacerbated by movement. She reported that the pain began within two hours after the immunization was administered, and she stated that her symptoms were atypical compared to her lifelong history of other routine immunizations. Specifically, she described an immediate pain in the soft

Volume 7, no. 1: February 2023 29 Clinical Practice and Cases in Emergency Medicine Case Report
* † ‡

tissues that was familiar and unconcerning, reminiscent of prior intramuscular injections, and which resolved within minutes. Subsequently, a deeper and more poorly localized pain began gradually after she had left the doctor’s office. This increased until she presented to the ED. She had no significant past medical history, including no prior history of musculoskeletal or rheumatologic disorders.

She had normal vital signs with no fever. Examination of her shoulder demonstrated no visible external abnormality except for the punctate wound of the vaccine needle, which was located approximately one centimeter inferior to the acromion process. There was no warmth or surrounding erythema, and there was only minimal soft tissue tenderness at the vaccine site. Active and passive range of motion were equally limited and painful in all planes of motion at the glenohumeral joint. Sensory and motor function were intact throughout the extremity in the axillary, radial, median, and ulnar nerve distributions. Perfusion was normal. She had no abnormalities of the contralateral shoulder or the remainder of her physical examination.

Bedside ultrasound was performed, which demonstrated enlargement of the subacromial/subdeltoid bursa and no effusion of the glenohumeral joint. We consulted orthopedics and discussed the case. After review of the findings, the emergency medicine and orthopedic surgery attending physicians agreed that offering corticosteroid injection of the affected bursa was appropriate. After a shared decisionmaking conversation with the patient, involving discussion of the reasonable therapeutic alternatives, she expressed her consent and desire to proceed. Using real-time ultrasound guidance, 6 milligrams (mg) of dexamethasone was injected into the abnormally fluid-filled bursa along with 10 mg of bupivacaine. She experienced significant, but incomplete, relief after an additional 60 minutes of observation in the ED. Upon follow-up 24 hours after discharge, she reported that her symptoms had completely resolved. She had no further pain, and her range of motion had returned to normal. Follow-up at three months confirmed that she had no return of her initial symptoms, and the function and range of motion of her shoulder were normal.

DISCUSSION

In typical anatomy, the subacromial and subdeltoid bursae are a single communicating structure that extends lateral to the acromion by 3-6 centimeters (cm) and lies 0.8-1.6 cm beneath the skin surface.3,6 As a result of this anatomic location, the bursa is susceptible to inadvertent injury during routine immunization when technique is incorrect. Bodor and Montalvo7 described a specific syndrome of prolonged shoulder pain and impaired function observed after routine immunization, distinct from the typical short-lived discomfort commonly experienced. Atanasoff et al named the syndrome shoulder injury related to vaccine administration (SIRVA) following identification of cases in the Vaccine Injury

CPC-EM Capsule

What do we already know about this clinical entity?

Injection of vaccine into the shoulder bursa can cause long-lasting pain and disability. Recognition is usually delayed, and current therapies provide only partial relief.

What makes this presentation of disease reportable?

This is the first report of this condition being recognized and treated by emergency physicians. The treatment described here provided relief superior to what is described elsewhere.

What is the major learning point?

Early recognition and intervention on this condition may prevent long-term symptoms. The treatment described here is simple and should be understood by emergency physicians.

How might this improve emergency medicine practice?

Emergency physicians may be ideally suited to identifying and treating this condition. Early intervention appears to maximize recovery from this uncommon but debilitating injury.

Compensation Program database.3 Further research has suggested that antigen deposition in the shoulder bursa is the likely mechanism for the exaggerated and prolonged bursitis that results.8 This syndrome has been observed following multiple types of vaccine.2,9–11 It is preventable by employing correct injection technique.1,12

Clinical features of SIRVA include unusually severe pain in the shoulder within several hours of vaccine administration, followed by restricted range of motion.13 The natural history involves prolonged pain and dysfunction, typically lasting weeks to months and occasionally without complete resolution.9,10 Treatment for this entity specifically is not well described but generally includes physical therapy, steroid injections, and surgical procedures.14–16 One case series was published describing the early (ie, within five days of vaccination) use of steroid injections.16 These authors observed resolution of symptoms more quickly than anticipated compared to other published reports, and proposed corticosteroid injection as a plausible first-line intervention when this diagnosis is suspected.

Clinical Practice and Cases in Emergency Medicine 30 Volume 7, no. 1: February 2023 ED Treatment Provides Immediate and Durable Relief Following Vaccine Injury Rowh et al.

CONCLUSION

This is the first published case of corticosteroid injection performed by an emergency physician for shoulder injury related to vaccine administration. The literature supports the proposed mechanism of SIRVA: ectopic vaccine administration causing acute, immune-mediated inflammatory bursitis. The immunologic response propagates after exposure to antigen, suggesting that delay in treatment is likely to yield decreased effectiveness. Early (within five days) treatment has been observed to be effective, but no randomized controlled trials exist given the rarity of the event. Minimizing the delay before immunomodulatory intervention would be expected to provide the most effective prophylaxis following identification of possible SIRVA. This can be achieved by administering a steroid dose as early as possible, an approach that is amenable to being performed in an ED.

Although orthopedic injections are an infrequent component of the routine practice of emergency medicine, they are entirely within the scope of an emergency physician’s training and expertise. Ultrasound guidance is preferred for greater procedural accuracy (see Image 1 and Image 2),17 but landmark approaches to corticosteroid injections of this bursa are also described.18 Offering this intervention in the ED to patients with suspected SIRVA provides access to a potentially disease-modifying treatment that would otherwise be delayed until outpatient specialist consultation can be arranged, a delay that is plausibly associated with a decreased efficacy of the intervention.

Vaccination will remain a cornerstone of public health disease-mitigation strategy, and with the advent of massvaccination initiatives during the COVID-19 pandemic, vaccines are likely to be administered by increasing numbers of healthcare personnel with more variation in training and experience. In this context, SIRVA may become more common. Early recognition and prompt intervention have the

potential to significantly reduce the long-term morbidity associated with this condition. Further research is indicated to validate and standardize the approach presented here for widespread implementation.

The authors attest that their institution requires neither Institutional Review Board approval, nor patient consent for publication of this case report. Documentation on file.

Address for Correspondence : Adam Rowh, MD, University of Colorado Health System, Department of Emergency Medicine, 2500 Rocky Mountain Ave, Loveland, CO 80538. Email: adam.rowh@uchealth.org.

Conflicts of Interest: By the CPC-EM article submission agreement, all authors are required to disclose all affiliations, funding sources and financial or management relationships that could be perceived as potential sources of bias. The authors disclosed none.

Copyright: © 2023 Rowh et al. This is an open access article distributed in accordance with the terms of the Creative Commons Attribution (CC BY 4.0) License. See: http://creativecommons.org/ licenses/by/4.0/

REFERENCES

1. Ezeanolue E, Harriman K, Hunter P, et al. General Best Practice Guidelines for Immunization. 2022. Available at: https://www.cdc. gov/vaccines/hcp/acip-recs/general-recs/index.html. Accessed October 11, 2021.

2. McColgan BP and Borschke FA. Pseudoseptic arthritis after accidental intra-articular deposition of the pneumococcal polyvalent vaccine: a case report. Am J Emerg Med. 2007;25(7):864.e1-3.

3. Atanasoff S, Ryan T, Lightfoot R, et al. Shoulder injury related to

Volume 7, no. 1: February 2023 31 Clinical Practice and Cases in Emergency Medicine Rowh et al.
ED Treatment Provides Immediate and Durable Relief Following Vaccine Injury
Image 1. Ultrasound still image demonstrating ultrasound-guided approach to injection of the subacromial/subdeltoid bursa. (A: acromion; H: humeral head; arrowheads: needle.) Image 2. Ultrasound still image demonstrating injection into the subacromial/subdeltoid bursa. (A: acromion; H: humeral head; arrowheads: needle; asterisk: subacromial/subdeltoid bursa distended with injectate.)

ED Treatment Provides Immediate and Durable Relief Following Vaccine Injury

vaccine administration (SIRVA). Vaccine. 2010;28(51):8049-52.

4. Hibbs BF, Ng CS, Museru O, et al. Reports of atypical shoulder pain and dysfunction following inactivated influenza vaccine, Vaccine Adverse Event Reporting System (VAERS), 2010-2017. Vaccine 2020;38(5):1137-43.

5. Cook IF. Best vaccination practice and medically attended injection site events following deltoid intramuscular injection. Hum Vaccin Immunother. 2015;11(5):1184-91.

6. Kennedy MS, Nicholson HD, Woodley SJ. Clinical anatomy of the subacromial and related shoulder bursae: a review of the literature. Clin Anat. 2017;30(2):213-26.

7. Bodor M and Montalvo E. Vaccination-related shoulder dysfunction. Vaccine. 2007;25(4):585-7.

8. Cooke TD and Jasin HE. The pathogenesis of chronic inflammation in experimental antigen-induced arthritis. I. The role of antigen on the local immune response. Arthritis Rheum. 1972;15(4):327-37.

9. Cook IF. Subdeltoid/subacromial bursitis associated with influenza vaccination. Hum Vaccin Immunother. 2014;10(3):605-6.

10. Hesse EM, Navarro RA, Daley MF, et al. Risk for subdeltoid bursitis after influenza vaccination: a population-based cohort study. Ann Intern Med. 2020;173(4):253-61.

11. Salmon JH, Geoffroy M, Eschard JP, et al. Bone erosion and

subacromial bursitis caused by diphtheria–tetanus–poliomyelitis vaccine. Vaccine. 2015;33(46):6152-5.

12. Bancsi A, Houle SKD, Grindrod KA. Shoulder injury related to vaccine administration and other injection site events. Can Fam Physician. 2019;65(1):40-2.

13. Cross GB, Moghaddas J, Buttery J, et al. Don’t aim too high: avoiding shoulder injury related to vaccine administration. Aust Fam Physician. 2016;45(5):303-6.

14. Barnes MG, Ledford C, Hogan K. A “needling” problem: shoulder injury related to vaccine administration. J Am Board Fam Med 2012;25(6):919-22.

15. Hibbs BF, Ng CS, Museru O, et al. Reports of atypical shoulder pain and dysfunction following inactivated influenza vaccine, vaccine adverse event reporting system (VAERS), 2010-2017. Vaccine 2020;38(5):1137-43.

16. Macomb CV, Evans MO, Dockstader JE, et al. Treating SIRVA early with corticosteroid injections: a case series. Mil Med 2020;185(1-2):e298-300.

17. Malanga G and Mautner K. (2014). Atlas of Ultrasound-Guided Musculoskeletal Injections. New York, New York: McGraw-Hill Education Medical.

18. Tallia AF and Cardone DA. Diagnostic and therapeutic injection of the shoulder region. Am Fam Physician. 2003;67(6):1271-8.

Clinical Practice and Cases in Emergency Medicine 32 Volume 7, no. 1: February 2023
Rowh et al.

A Case Report of Ruptured Popliteal Aneurysm in the Setting of Blunt Trauma

Section Editor: Austin Smith, MD

Desert Regional Medical Center, Department of Emergency Medicine, Palm Springs, California

Desert Regional Medical Center, Desert Trauma Surgeons, Palm Springs, California

Submission history: Submitted June 11, 2022; Revision received October 20, 2022; Accepted November 9, 2022

Electronically published January 19, 2023

Full text available through open access at http://escholarship.org/uc/uciem_cpcem

DOI: 10.5811/cpcem.2022.10.57671

Introduction: Popliteal artery aneurysms are in most cases asymptomatic but cause significant complications if ruptured. An acute popliteal aneurysm rupture is relatively rare, and few cases have been documented secondary to blunt trauma. Common presenting signs and symptoms include distal limb ischemia and absent dorsalis pedis pulses. Timely management and recognition of this rare presentation are crucial as this condition can result in limb loss or death if not treated in a timely manner.

Case Report: An 80-year-old man with history of hypertension presented to the emergency department complaining of inability to feel sensation below his left knee after falling from ground level. Physical examination was pertinent for bounding radial and femoral pulses bilaterally, although absent dorsalis pedis and posterior tibial pulses to the left lower extremity. Computed tomography angiography identified occlusion of the left superficial femoral arterial lumen associated with a ruptured popliteal aneurysm, approximately eight centimeters in size. He immediately received unfractionated heparin and was admitted to the hospital for left medial thigh exploration and decompressive dermatofasciotomy.

Conclusion: After confirmation of popliteal aneurysmal rupture with advanced imaging, heparinization and vascular surgery consultation are critical steps that should be taken to prevent limb loss. [Clin Pract Cases Emerg Med. 2023;7(1):33–35.]

Keywords: case report; popliteal artery; aneurysm rupture.

INTRODUCTION

Popliteal artery aneurysms are in most cases asymptomatic but cause significant complications if ruptured. The incidence of popliteal aneurysm rupture is rare, estimated at 1% in males aged 65-80 years.1 To date, 58 cases of popliteal artery aneurysm rupture have been described in the literature, and only seven have been documented secondary to trauma.2,3 We present an acute ruptured popliteal aneurysm secondary to a fall from ground level.

CASE REPORT

An 80-year-old man with history of hypertension presented to the emergency department (ED) complaining of

inability to feel sensation below his left knee after falling from ground level. Prior to arrival, the prehospital paramedics reported loss of palpable pulses in the left lower extremity. Vital signs upon arrival included a blood pressure of 110/80 millimeters of mercury, heart rate of 110 beats per minute, 16 respirations per minute, an oxygen saturation of 98% on room air, and a temperature of 98.6° Fahrenheit. Physical examination was pertinent for the left lower extremity rotated externally in plantarflexion with tenderness and ecchymosis to the left medial thigh. Vascular examination revealed radial and femoral pulses bilaterally, although absent dorsalis pedis and posterior tibial pulse to the left lower extremity. Bedside arterial duplex revealed left posterior tibial monophasic waveforms and presence of diastolic flow.

Article in Press 33 Clinical Practice and Cases in Emergency Medicine Case Report
* †

Radiographs of his femur and left tibia were negative for acute fracture or bony abnormality. Computed tomography angiography of the left lower extremity with contrast (Images 1 and 2) identified compression of the superficial femoral arterial lumen with complete occlusion distally, associated with a ruptured popliteal aneurysm, approximately eight centimeters in size. In consultation with our vascular surgeon and trauma service, the patient was started on a heparin infusion and transferred to the operating room for left medial thigh exploration and decompressive dermatofasciotomy.

DISCUSSION

Our patient was diagnosed with an acute ruptured popliteal aneurysm, likely secondary to blunt trauma after falling from ground level. The incidence of popliteal aneurysm rupture is rare, estimated at 1% in males aged 65-80 years.1 To date, 58 cases of popliteal artery aneurysm rupture have been described in the literature, and only seven have been documented secondary to trauma.2,3 Recognition of a ruptured popliteal artery aneurysm is the most difficult aspect in management, as ischemic signs may be absent, leading to alternative diagnoses, such as venous thrombosis, ruptured synovial cysts, and soft tissue sarcomas.5 The most common signs and symptoms of a ruptured popliteal aneurysm,

CPC-EM Capsule

What do we already know about this clinical entity?

Popliteal artery aneurysms are commonly complicated by thrombosis and distal embolization.

What makes this presentation of disease reportable?

Popliteal artery aneurysm rupture is rare and few cases have been documented secondary to blunt trauma.

What is the major learning point?

Management of popliteal aneurysm rupture is facilitated with a detailed physical examination, appropriate radiographic studies, and expeditious consultation with specialists.

How might this improve emergency medicine practice?

Improved recognition and management of popliteal aneurysm rupture may decrease morbidity and mortality.

regardless of mechanism, are similar to those of compartment syndrome and include a swollen extremity, acute lower limb ischemia, paresthesias, and nerve deficits.5 Timely management and recognition of aneurysmal rupture are vital because of the threat to limb loss and loss of life secondary to hemorrhagic shock.3

When performing a primary assessment to an extremity involved in trauma, emergency physicians must assess sensation and motor function as paucity of either may indicate acute limb ischemia. When evaluating for popliteal aneurysms, the knee

Clinical Practice and Cases in Emergency Medicine 34 Articles in Press Ruptured Popliteal Aneurysm in the Setting of Blunt Trauma Lozanida et al.
Image 1. Computed tomography angiography volume-rendering technique reconstruction of the left lower extremity in sagittal view demonstrating superficial artery occlusion with popliteal artery aneurysm rupture (arrow) and lack of arterial contrast enhancement distally. Image 2. Computed tomography angiography of the left lower extremity in axial view demonstrating popliteal artery aneurysm extension into a large left lower leg hematoma (arrow) status post popliteal artery stenting and dermatofasciotomy.

should be examined in a semi-flexed position, as 60% of patients with popliteal artery aneurysms have a palpable pulsatile mass at the level of the knee joint. Furthermore, the clinician must recognize the time elapsed from the insult as limb ischemia may be secondary to compartment syndrome. Nevertheless, if there is a high index of suspicion for acute limb ischemia, initial management with systemic unfractionated heparin should be prioritized to prevent aneurysmal thrombus propagation. Although no guidelines are available to guide management, most ruptured popliteal artery aneurysms are repaired surgically with rates of endovascular repair on the rise.2 Nevertheless, the condition may lead to amputation and is associated with a high risk of death within the first year after surgical repair.3

CONCLUSION

Our patient likely had localized trauma to his knee, causing popliteal aneurysm rupture, hemorrhage, and compartment syndrome. He was immediately treated with heparin and admitted to the hospital for left medial thigh exploration, dermatofasciotomy, and left superficial femoral artery and popliteal artery stenting. His hospital course was complicated by proximal stent migration into the aneurysmal sac with thrombus causing a large hematoma approximately 46 centimeters in size. Incidentally, he was found to have a three-centimeter popliteal aneurysm in his contralateral right leg, which had not ruptured suggesting that his left popliteal aneurysm was a chronic issue prior to his insult. Unfortunately, despite pharmacologic and vascular stenting interventions, the patient died secondary to cardiac arrest. Although ruptured popliteal artery aneurysm is a rare event, management in the ED is facilitated with a detailed physical examination, appropriate radiographic studies, and expeditious consultation with specialists. Recognizing popliteal aneurysm rupture, utilization of advanced imaging, and surgical intervention are mainstays to decrease morbidity and mortality.

Ruptured Popliteal Aneurysm in the Setting of Blunt Trauma

Documented patient informed consent and/or Institutional Review Board approval has been obtained and filed for publication of this case report.

Address for Correspondence: Jaymes A.J. Lonzanida, MD, Desert Regional Medical Center, Department of Emergency Medicine, 1150 North Indian Canyon Drive, Palm Springs, CA 92262. Email: jaymesl@hawaii.edu.

Conflicts of Interest: By the CPC-EM article submission agreement, all authors are required to disclose all affiliations, funding sources and financial or management relationships that could be perceived as potential sources of bias. The authors disclosed none.

Copyright: © 2023 Lonzanida et al. This is an open access article distributed in accordance with the terms of the Creative Commons Attribution (CC BY 4.0) License. See: http://creativecommons.org/ licenses/by/4.0/

REFERENCES

1. Trickett JP, Scott RA, Tilney HS. Screening and management of asymptomatic popliteal aneurysms. J Med Screen. 2002;9(2):92-3.

2. Brown SL, Lewis M, Morrow DR. Endovascular repair of ruptured popliteal artery aneurysms: a case report and review of the literature. EJVES short reports. 2016;32(1): 24 -8.

3. Cervin A, Ravn H, Björck M. Ruptured popliteal artery aneurysm. Br J Surg. 2018;105(13):1753-8.

4. Sie RB, Dawson I, van Baalen JM, et al. Ruptured popliteal artery aneurysm. an insidious complication. Eur J Vasc Endovasc Surg 1997;13(5):432-8.

5. Illig KA, Eagleton MJ, Shortell CK, et al. Ruptured popliteal artery aneurysm. J Vasc Surg. 1998;27(4):783-7.

Articles in Press 35 Clinical Practice and Cases in Emergency Medicine
Lozanida et al.

Bilateral Erector Spinae Plane Block for Man o’ War Stings: A Case Report

Section Editor: Shadi Lahham, MD

Submission history: Submitted July 17, 2022; Revision received December 14, 2022; Accepted December 15, 2022

Electronically published February 9, 2023

Full text available through open access at http://escholarship.org/uc/uciem_cpcem

DOI: 10.5811/cpcem.2022.12.58093

Introduction: The Portuguese man o’ war, an aquatic invertebrate, is responsible for a large proportion of cnidarian stings worldwide. Cnidaria is a phylum that contains the genus Physalia. These injuries result in severe pain and skin irritation, which are often difficult to control. Traditionally, cnidarian stings have been treated by emergency physicians with warm water, vinegar and, in severe cases, opioids. However, no concrete guidelines have been established for pain management in man o’ war stings.

Case Report: Regional anesthesia (RA) is an increasingly used method of pain control in the emergency department. In the case of a 41-year-old female experiencing severe pain from a Portuguese man o’ war sting, RA with an erector spinae plane block (ESPB) provided her with rapid and long-lasting pain relief.

Conclusion: The standard of care has yet to be defined when managing pain from Physalia physalis stings. Although this is the first documented use of ESPB for treatment of cnidarian stings, RA should be considered by any emergency physician when treating injuries caused by a Portuguese man o’ war. [Clin Pract Cases Emerg Med. 2023;7(1):36–38.]

Keywords: case report; emergency medicine; regional anesthesia; pain management; Portuguese man o’ war; jellyfish.

INTRODUCTION

Physalia physalis, better known as the Portuguese man o’ war, are frequently found in hot and temperate waters. Physalia are responsible for a substantial proportion of cnidarian stings worldwide and are normally quite painful and severe.1 Tentacles of Physalia can measure from 10-30 meters and envenomate victims via the discharge of nematocysts from these tentacles,2 which contain from a few thousand to several billion nematocysts.1 After being triggered by mechanical stimuli (ie, skin rubbing or tentacle traction), nematocysts are discharged into the victim within a fraction of a second.1 Ensuing nerve irritation and inflammation results in pain, swelling, and itching. Physalia stings classically result in linear, crossed, skin wheals.2 In more extensive stings, victims can experience skin necrosis or even muscular, gastrointestinal, cardiac, neurological, and allergic symptoms if significant systemic absorption of the toxin occurs.1

The erector spinae plane block (ESPB) was originally described by Forero et al (2016) as an effective treatment for thoracic neuropathic pain.3 Bilateral ESPB has since been used in a variety of clinical cases, including as a part of multimodal analgesia following thoracic and cardiovascular surgeries, or for chronic low-back pain, vertebral fractures, acute pancreatitis, and rib fractures.4-6 Risks of the procedure include pneumothorax, nerve injury, and local anesthesia toxicity. However, few complications of ESPB have been published. In our emergency department (ED), for example, we often use the ESPB as part of multimodal analgesia for multiple rib fractures. Opioid avoidance is of particular importance in our ED. Many of our patients are not native to Florida and are opioid-naïve. Opioid-naïve patients requiring an opioid prescription are at greater risk of recurrent opioid use.7 Pain control via ESPB allows for avoidance of opioids, clearance

Clinical Practice and Cases in Emergency Medicine 36 Volume 7, no. 1: February 2023 Case Report
Mount Sinai Medical Center, Department of Emergency Medicine, Miami Beach, Florida

of pulmonary secretions, and decreased injury complications.

The ESPB is performed by injecting local anesthetic in the posterior chest wall between the erector spinae muscle and transverse vertebral process (Image 1).8 With the patient in either orthopneic, prone, or lateral decubitus positioning, the physician stands posteriorly to the patient and chooses the level of spinous process that correlates with the appropriate dermatomal distribution of the patient’s pain.9 Under ultrasound guidance, the physician then places the probe longitudinally at the thoracic level to identify the spinous process. Once a proper location is selected, the physician slides the transducer laterally until the transverse process is visualized. While inserting the needle in plane from a cranial to caudad direction, the physician hydro-dissects until the needle contacts the transverse process.9 Once the needle is deeper than the erector spinae muscle and at the tip of the transverse process, the physician injects about 20-30 milliliters (mL) of local anesthetic.8

Local anesthetic then diffuses anteriorly to the paravertebral and epidural spaces and envelops the ventral and dorsal rami of the corresponding spinal nerves.8 The ventral ramus (intercostal nerve) innervates the anterolateral chest wall, while the dorsal ramus innervates the posterior chest wall. Thus, the erector spinae block results in both visceral and somatic analgesia.7

CASE REPORT

A 41-year-old female presented with a chief complaint of painful rash and muscle stiffness following a sting from Portuguese man o’ war one hour prior to arrival, while swimming at a local beach. She related that the tentacles of the jellyfish-like floating invertebrate had attached to her back prior to being dislodged. Her muscle stiffness and pain was so severe

CPC-EM Capsule

What do we already know about this clinical entity? Identification and treatment of Physalia stings is important in the prevention of life-threatening complications, as well as pain relief for the victim. Initial treatment of Physalia stings should consist of controlling systemic reactions, followed by tentacle removal with warm water irrigation and/or manual removal with tweezers to prevent further nematocyst discharge. As to the best method of pain control, there is much controversy.

What makes this presentation of disease reportable? This patient’s pain was severe, and refractory to opioid administration.

What is the major learning point?

Regional anesthesia can provide rapid, thorough, and long-lasting treatment of pain from Physalia stings, and should be considered as part of a multimodal analgesic pathway for patients who present to the emergency department with extensive or severely painful stings.

How might this improve emergency medicine practice?

Besides providing patient comfort, regional anesthesia allows the physician to fully inspect wounds and remove additional tentacles without difficulty. As a result, patient outcomes, satisfaction, and disposition times may improve.

that any movement exacerbated her symptoms. Emergency medical services did not provide her with any analgesics. Physical exam was notable for an otherwise healthy-appearing woman in significant distress, with serpiginous, erythematous rashes resulting from man-o’-war stings covering most of her chest and abdomen, also with extensive involvement of her upper arms and thighs (Image 2).

The patient was given 4 milligrams of intravenous morphine without improvement of her pain. Thirty minutes after medication administration, she still rated her pain as 10/10. We then offered an ESPB, to which she consented Bilateral block administration with 12 mL bupivacaine 0.5% on each side was given, and within another half hour the patient was feeling almost completely better, and after another 15 minutes she was discharged back to her hotel with some mild pain only in her arms and thighs.

Call-back three days later revealed that the patient had experienced 20 hours of complete anesthesia and was feeling much less pain than the initial stings after the anesthetic wore off.

Volume 7, no. 1: February 2023 37 Clinical Practice and Cases in Emergency Medicine Weber et al. Bilateral ESPB for Man o’ War Stings
Image 1. Erector spinae plane block right posterior chest. Ultrasound image of needle placement just prior to anesthesia injection. Transverse processes (TP) and erector spinae muscle (ES) labeled above.

DISCUSSION

Identification and treatment of important in the prevention of life-threatening complications, as well as pain relief for the victim. Initial treatment of Physalia stings should consist of controlling systemic reactions, followed by tentacle removal with warm water irrigation and/or manual removal with tweezers to prevent further nematocyst discharge. As to the best method of pain control, there is much controversy regarding optimal treatment. Remedies such as hot water and seawater application on the affected skin have shown to be helpful for patients with mild pain.1,10 Vinegar has been traditionally used for pain relief; however, increasing evidence suggests that vinegar may provoke continued venom release from Physalia nematocysts.11 Other chemicals previously used to treat skin pain, including ethanol and ammonia, may also stimulate nematocyst discharge.10 When administered either topically or subcutaneously, lidocaine has been shown to provide superior relief of pain from jellyfish stings when compared to traditional methods and may prevent further nematocyst discharge from tentacles that remain in the skin.10

CONCLUSION

Regional anesthesia can provide rapid, thorough, and long-lasting treatment of pain from Physalia stings and should be considered as part of a multimodal analgesic pathway for patients who present to the ED with extensive or severely painful stings. Besides providing patient comfort, RA allows the physician to fully inspect wounds and remove additional tentacles without difficulty. As a result, patient outcomes, satisfaction, and disposition times may improve. Additionally, significant amounts of opioids can be avoided in patients who undergo RA. This case is the first documented use of ESPB in the treatment of Physalia stings. Physicians should consider the use of RA more often for similar cases in the ED. Documented patient informed consent and Institutional Review

Board approval has been obtained and filed for publication of this case report.

Address for Correspondence: Michael Shalaby, MD, Mount Sinai Medical Center, Department of Emergency Medicine, 4300 Alton Rd, Miami, FL 33140. Email: michaelshalaby89@gmail.com.

Conflicts of Interest: By the CPC-EM article submission agreement, all authors are required to disclose all affiliations, funding sources and financial or management relationships that could be perceived as potential sources of bias. The authors disclosed none.

Copyright: © 2023 Weber et al. This is an open access article distributed in accordance with the terms of the Creative Commons Attribution (CC BY 4.0) License. See: http://creativecommons.org/ licenses/by/4.0/

REFERENCES

1. Cegolon L, Heymann W, Lange J, et al. Jellyfish stings and their management: a review. Mar Drugs. 2013;11(12):523-50.

2. Tibballs J. Australian venomous jellyfish, envenomation syndromes, toxins and therapy. Toxicon. 2006;48(7):830-59.

3. Forero M, Adhikary SD, Lopez H, et al. The erector spinae plane block: a novel analgesic technique in thoracic neuropathic pain. Reg Anesth Pain Med. 2016;41(5):621-7.

4. Tulgar S, Ahiskalioglu A, De Cassai A, et al. Efficacy of bilateral erector spinae plane block in the management of pain: current insights. J Pain Res. 2019;12:2597-613.

5. Cui Y, Wang Y, Yang J, et al. The effect of single-shot erector spinae plane block (ESPB) on opioid consumption for various surgeries: a meta-analysis of randomized controlled trials. J Pain Res 2022;15:683-99.

6. Kumar G, Kumar Bhoi S, Sinha TP, et al. Erector spinae plane block for multiple rib fracture done by an emergency physician: A case series. Australas J Ultrasound Med. 2021;24(1):58-62.

7. Hoppe JA, Kim H, Heard K. Association of emergency department opioid initiation with recurrent opioid use. Ann Emerg Med 2015;65(5):493-9.

8. Kot P, Rodriguez P, Granell M, et al. The erector spinae plane block: a narrative review. Korean J Anesthesiol. 2019;72(3):209-20.

9. Mantuani D, Yang E, Schultz C, et al. How to perform an erector spinae plane block. ACEP Now. 2021;40(9).

10. Birsa LM, Verity PG, Lee RF. Evaluation of the effects of various chemicals on discharge of and pain caused by jellyfish nematocysts. Comp Biochem Physiol C Toxicol Pharmacol. 2010;151(4):426-30.

11. Labadie M, Aldabe B, Ong N, et al. Portuguese man-of-war (Physalia physalis) envenomation on the Aquitaine coast of France: an emerging health risk. Clin Toxicol. 2012;50(7):567-70.

Clinical Practice and Cases in Emergency Medicine 38 Volume 7, no. 1: February 2023 Bilateral ESPB for Man o’ War Stings Weber et al.
Image 2. Rashes on posterior chest from Portuguese man-o’war stings.

Acute Intracranial Subdural Hematoma Masquerading as a Postpartum Headache: A Case Report

Section Editor: R. Gentry Wilkerson, MD

Penn State Health Milton S. Hershey Medical Center, Department of Emergency Medicine, Hershey, Pennsylvania

Eastern Virginia Medical School, Department of Emergency Medicine, Norfolk, Virginia Emergency Physicians of Tidewater, Norfolk, Virginia

Submission history: Submitted November 1, 2022; Revision received January 5, 2023; Accepted January 6, 2023

Electronically published February 9, 2023

Full text available through open access at http://escholarship.org/uc/uciem_cpcem

DOI: 10.5811/cpcem.2023.1.59331

Introduction: An acute subdural hematoma is a collection of blood in the space between the dural and arachnoid membranes overlying the brain. Head trauma is the most common cause. Less frequently, low cerebrospinal fluid pressure, due to a spontaneous or iatrogenic cerebrospinal fluid leak can result in a subdural hematoma.

Case Report: We discuss the case of a 26-year-old woman who presented with a frontal headache following epidural anesthesia for vaginal delivery. The differential diagnosis included spinal headache, postpartum hypercoagulability, dural sinus thrombosis, and intracranial hemorrhage or mass. Her vital signs and physical examination were normal. A computed tomography of the brain revealed an acute subdural hematoma along the left frontal cerebral hemisphere, without midline shift or mass effect. A blood patch was placed with complete resolution of her symptoms.

Conclusion: This case illustrates an unusual case of an acute subdural hematoma in the postpartum period following epidural anesthesia for labor pain management. It was thought to be caused by intracranial hypotension following epidural anesthesia and a cerebrospinal fluid leak. [Clin Pract Cases Emerg Med. [2023;7(1):39–42.]

Keywords: case report; intracranial subdural hematoma; postpartum; epidural anesthesia; headache.

INTRODUCTION

Over the past several decades in the United States (US), epidural anesthesia has become the most popular pain management option for women during labor and delivery.1,2 According to a 2011 study by the US Centers for Disease Control and Prevention, 61% of women in the US who vaginally delivered received epidural or spinal anesthesia across 27 states in 2008.3

Postdural puncture headache (PDPH) is a recognized complication following epidural anesthesia.1,2,4 According to the International Headache Society, a PDPH occurs within five days of a lumbar puncture due to leaking of cerebral spinal fluid (CSF), it is often postural in nature, and may spontaneously resolve in two weeks with conservative

measures or with an epidural blood patch.2,5 First described by Dr. August Bier in 1869, PDPH is thought to occur due to unintentional dural puncture during epidural anesthesia, leaking of CSF, and either subsequent strain on intracranial structures or, alternatively, vasodilation resulting in a headache.2,6–10 According to a 2014 article by Gurudatt, the rate of unintentional dural puncture (UDP) during epidural anesthesia is described as a range 0.19-3.6%, with 60-80% of patients who experience an UDP going on to have a PDPH.11

Headaches in general are common in the postpartum period, with a 2005 prospective cohort study by Goldszmidt et al reporting an incidence of 39%.12 An uncommon yet neurologically important cause of postpartum headache following epidural anesthesia is an intracranial subdural hematoma

Volume 7, no. 1: February 2023 39 Clinical Practice and Cases in Emergency Medicine Case Report
* † ‡

(SDH). Similarly to PDPH, an intracranial SDH is thought to occur due to unintentional dural puncture during epidural anesthesia, leaking of CSF, and subsequent strain on intracranial neurovascular structures, specifically the bridging veins, leading to intracranial bleeding.4,6,7,13 Although the true incidence has not been reported, from our review of the literature, an often cited retrospective study by Scott and Hibbard reported an incidence of one SDH following unintentional dural puncture during epidural anesthesia for obstetrical patients out of approximately 505,000 cases in the United Kingdom between 1982-1986.14

We present the case of a 26-year-old woman who presented to the emergency department (ED) with an unusual presentation of an acute intracranial SDH masquerading as a postpartum headache following epidural anesthesia.

CASE REPORT

A 26-year-old gravida 1, para 1 female presented to the ED reporting a frontal headache for the prior three days. The patient had received epidural anesthesia for an uncomplicated spontaneous vaginal delivery five days earlier and was discharged to home after two days. The patient reported that since being home she had been having a headache described as a pressure feeling. A friend recommended that she lie flat, which did improve her headache, but she was concerned because the headache returned every time she sat or stood upright. She denied fever, chills, nausea, vomiting, extremity numbness or weakness, chest pain, shortness of breath, or other associated symptoms. Past medical history was significant only for asthma. The patient was on no medications and denied alcohol use or cigarette smoking.

Physical exam revealed a young woman in no obvious distress. Vital signs revealed a pulse of 80 beats per minute, respiratory rate of 18 breaths per minute, blood pressure of 127/91 millimeters of mercury, temperature of 98˚ Fahrenheit (36.7˚ Celsius), and 96% oxygen saturation on room air. Examination of the head, eyes, ears, nose, and throat exam was normal. The heart exam was normal, and auscultation of the lungs revealed clear, bilateral breath sounds. The abdomen was soft, nontender, and without guarding or rebound. Examination of the back revealed no evidence of a CSF leak. On neurologic exam, she was awake, alert, and oriented to person, place, time, and situation. Cranial nerves II-XII were intact, the patient had 5/5 motor strength in all four extremities, and a normal gait. Sensation was intact to light touch throughout, and there was no upper extremity pronator drift.

An intravenous line was established. Laboratory studies were sent for a complete blood count (CBC), basic metabolic profile (BMP), liver function studies (LFTs), and a urinalysis. A non-contrast computed tomography (CT) of the head was also ordered. The CBC was only remarkable for a mild leukocytosis. The BMP and urinalysis were normal. The LFTs were remarkable for a mildly elevated alkaline phosphatase. The CT of the head (Image) revealed “an acute subdural hematoma along the left frontal cerebral hemispheric

CPC-EM Capsule

What do we already know about this clinical entity?

Acute intracranial subdural hematoma is an uncommon yet cannot miss neurologic emergency in the postpartum patient presenting with a headache.

What makes this presentation of disease reportable?

An acute intracranial subdural hematoma was found in a postpartum patient presenting with a headache after receiving epidural anesthesia during labor.

What is the major learning point?

Acute intracranial subdural hematoma should be included in the differential diagnosis for postpartum patients reporting a headache after receiving epidural anesthesia.

How might this improve emergency medicine practice?

Consideration of acute intracranial subdural hematoma as a potential cause of headache in the postpartum patient can facilitate a timely diagnosis.

Clinical Practice and Cases in Emergency Medicine 40 Volume 7, no. 1: February 2023 Acute Intracranial SDH Masquerading as a Postpartum Headache Tondt et al.
Image. Transverse section of a computed tomography image of the head showing an acute subdural hematoma along the left frontal cerebral hemispheric convexity (arrow).

convexity, measuring 7 millimeters (mm) in thickness and 9 centimeters (cm) in the anterior posterior dimension. There was no midline shift or mass effect.”

Neurosurgery was not available at the hospital, so the emergency physician called the local tertiary care referral hospital and consulted neurosurgery. The neurosurgeon recommended coagulation studies, type and screen, testing for coronavirus disease 2019 (COVID-19), neuro checks every hour, bed rest, and levetiracetam 500 milligrams intravenously every 12 hours. Coagulation studies were normal, and the COVID-19 test was negative. Review of the anesthesia records revealed the epidural anesthesia had been placed with the patient in the sitting position at the third and fourth lumbar level. A 17-gauge epidural needle had been used and required only a single attempt. No complications were described.

The patient remained in stable condition and was transferred to the tertiary care hospital without incident. Her neurologic exam remained unchanged, and she arrived with a mild headache, no new complaints, and was overall in no acute distress. Neurosurgery ordered a computed tomography angiography (CTA) of the head and neck to evaluate for an etiology of the SDH. The study revealed “no explanation for the subdural hemorrhage. No aneurysm or arteriovenous malformation. Patent intracranial superficial and deep venous system. Patent intracranial and extracranial cerebral arteries without evidence of significant stenosis.” The patient was admitted to the neurology intensive care unit for close observation. Additional studies included magnetic resonance imaging (MRI) of the cervical, lumbar, and thoracic spines without contrast; all were unremarkable. An MRI head with and without contrast revealed “a left frontal convexity SDH measuring up to 7 mm in maximum thickness. No other hemorrhage identified.”

The patient remained in stable condition and was transferred to the floor the next day. Anesthesia placed an epidural blood patch, which resulted in significant improvement in her symptoms. She was discharged home the next day, pain free and with a normal neurologic exam.

DISCUSSION

The broad differential diagnosis of postpartum headache may lead to a delay in the identification of SDH, as presenting symptoms often overlap with other processes, such as PDPH.4,7 In a 2010 literature review of 35 cases, Anorim et al reported that common risk factors for SDH following epidural anesthesia included pregnancy, multiple attempts, anticoagulants, intracranial vascular abnormalities, and cerebral atrophy, while noting that 15 (43%) of the cases had no reported risk factors.6 Our patient had no known past medical history and an otherwise uncomplicated pregnancy course.

Computed tomography is the initial imaging modality of choice to evaluate for SDH after epidural anesthesia in patients with a high clinical suspicion.4,15 Other imaging

Acute Intracranial SDH Masquerading as a Postpartum Headache

modalities, such as MRI or CTA, may be considered for further characterization of SDH. as well as evaluation of potential alternative causes aside from unintentional dural puncture, as with our case.4,6,15

Treatment recommendations for intracranial SDH following epidural anesthesia are based on patient presentation and clinical findings, and range from symptomatic treatment to emergent neurosurgical intervention.4,6-7,13,15 In a 2014 literature review, Cuypers et al reported that of 34 women who had an intracranial SDH following epidural anesthesia for vaginal or cesarean delivery, 50% needed urgent surgical treatment, 44% received conservative management, and a total of 88% of patients were reported to have complete recovery, while the remaining 12% either had permanent neurologic deficit or died as a result of the hematoma.15 Similar to our patient presentation, Vien et al presented a case of a 27-yearold nulliparous female patient with no known past medical history who was found to have subdural hygromas and a SDH following epidural anesthesia and had resolution of symptoms after a blood patch.13 Comparatively, Kale et al presented a case of a 34-year-old primigravida female with no known past medical history who reported a headache after epidural anesthesia for labor, subsequently developed focal neurological deficits, was found to have bilateral acute SDH necessitating a burr hole, and was reported to have eventual resolution of symptoms.4

Cuypers et al reported that of 34 women who had an intracranial SDH following epidural anesthesia for vaginal or cesarean delivery, 31 (91%) initially presented with PDPH, of whom 84% went on to have continued non-postural headache, and overall 71% were reported to have focal neurologic deficits.15 Emergency physicians should consider further evaluation for SDH in postpartum patients following epidural anesthesia who present with symptoms such as headaches that are persistent, no longer postural in nature, only temporarily relieved by conservative measures, and/or associated with focal neurologic deficits.6-7,13,15

CONCLUSION

Acute intracranial subdural hematoma is an uncommon neurologic emergency that emergency physicians should consider in the differential diagnosis of postpartum patients presenting with a headache and history of epidural or spinal anesthesia. A thorough past medical history including obstetrical history, especially identifying those who received epidural anesthesia, is important to obtain from the postpartum patient presenting to the ED.

The authors attest that their institution requires neither Institutional Review Board approval, nor patient consent for publication of this case report. Documentation on file.

Volume 7, no. 1: February 2023 41 Clinical Practice and Cases in Emergency Medicine
Tondt et al.

Acute Intracranial SDH Masquerading as a Postpartum Headache

Address for Correspondence: Julie M. Tondt, MD, Penn State Health Milton S. Hershey Medical Center, Department of Emergency Medicine, 500 University Dr, Hershey, PA 17033. Email: jtondt@pennstatehealth.psu.edu.

Conflicts of Interest: By the CPC-EM article submission agreement, all authors are required to disclose all affiliations, funding sources and financial or management relationships that could be perceived as potential sources of bias. The authors disclosed none.

Copyright: © 2023 Tondt et al. This is an open access article distributed in accordance with the terms of the Creative Commons Attribution (CC BY 4.0) License. See: http://creativecommons.org/ licenses/by/4.0/

REFERENCES

1. Vincent RD Jr and Chestnut DH. Epidural analgesia during labor. Am Fam Physician. 1998;58(8):1785-92.

2. American Society of Anesthesiologists: Obstetric Anesthesia Committee. Statement on Post-Dural Puncture Headache Management. Available at: https://www.asahq.org/standards-andguidelines/statement-on-post-dural-puncture-headache-management. 2021. Accessed April 26, 2022.

3. Osterman MJK and Martin JA. Epidural and spinal anesthesia use during labor: 27 state reporting area, 2008. Natl Vital Stat Rep 2011;59(5):1-13,16.

4. Kale A, Emmez H, Pişkin Ö, et al. Postdural puncture subdural hematoma or postdural puncture headache? Two case reports. Korean J Anesthesiol. 2015;68(5):509-12.

5. Headache Classification Committee of the International Headache Society (IHS). The International Classification of Headache Disorders, 3rd ed Cephalalgia. 2018;38(1):1-211.

6. Amorim JA, Remígio DS, Damázio Filho O, et al. Intracranial subdural hematoma post-spinal anesthesia: report of two cases and review of 33 cases in the literature. Braz J Anesthesiol 2010;60(6):620-9.

7. Szeto V, Kosirog J, Eilbert W. Intracranial subdural hematoma after epidural anesthesia: a case report and review of the literature. Int J Emerg Med. 2018;11(1):36.

8. Harrington BE and Reina MA. Postdural puncture headache. NYSORA. 2018. Available at: https://www.nysora.com/topics/ complications/postdural-puncture-headache/. Accessed May 21, 2022.

9. Kwak KH. Postdural puncture headache. Korean J Anesthesiol 2017;70(2):136-43.

10. Turnbull DK and Shepherd DB. Post-dural puncture headache: pathogenesis, prevention and treatment. Br J Anaesth 2003;91(5):718-29.

11. Gurudatt CL. Unintentional dural puncture and postdural puncture headache: Can this headache of the patient as well as the anaesthesiologist be prevented? Indian J Anaesth. 2014;58(4):385-7.

12. Goldszmidt E, Kern R, Chaput A, et al. The incidence and etiology of postpartum headaches: a prospective cohort study. Can J Anaesth 2005;52(9):971-7.

13. Vien C, Marovic P, Ingram B. Epidural anesthesia complicated by subdural hygromas and a subdural hematoma. Case Rep Anesthesiol. 2016;2016:5789504.

14. Scott DB and Hibbard BM. Serious non-fatal complications associated with extradural block in obstetric practice. Br J Anaesth 1990;64(5):537-41.

15. Cuypers V, Van de Velde M, Devroe S. Intracranial subdural haematoma following neuraxial anaesthesia in the obstetric population: a literature review with analysis of 56 reported cases. Int J Obstet Anesth. 2016;25:58-65.

Clinical Practice and Cases in Emergency Medicine 42 Volume 7, no. 1: February 2023
Tondt et al.

Nebulized Ketamine Used for Managing Ankle Fracture in the Prehospital Emergency Setting: A Case Report

Section Editor: Steven Walsh, MD

Submission history: Submitted September 4, 2022; Revision received December 31, 2022; Accepted January 6, 2023

Electronically published February 9, 2023

Full text available through open access at http://escholarship.org/uc/uciem_cpcem

DOI: 10.5811/cpcem.2023.1.58761

Introduction: Acute traumatic limb injury is a common complaint of patients presenting to the emergency department (ED). Ketamine is an effective analgesic administered via intravenous (IV), intranasal (IN), intramuscular (IM), and nebulized routes in the ED. It has also been used in the prehospital setting via IV, IM, and IN routes. Recent studies have proposed the prehospital use of nebulized ketamine via breath-actuated nebulizer (BAN) as a noninvasive and effective method of analgesic delivery, as well as an alternative to opioid analgesia.

Case Report: We present a case of a patient with right ankle fracture after a 12-foot fall who subsequently received 0.75 milligrams per kilogram of nebulized ketamine via BAN in the prehospital setting. The patient reported improvement of pain from 8/10 to 3/10 on the pain scale without need for additional pain medication during prehospital transport. This report supports the use of nebulized ketamine via BAN in the prehospital setting for acute traumatic limb injuries.

Conclusion: The use of nebulized ketamine via BAN in the prehospital setting may be an effective analgesic option for the management of patients with acute traumatic limb injuries, particularly in those with difficult IV access, where mucosal atomization devices are not accessible, or where opioid-sparing treatments are preferable. [Clin Pract Cases Emerg Med. 2023;7(1):43–46.]

Keywords: prehospital care; non-opioid analgesia; emergency medical services; nebulized ketamine; case report.

INTRODUCTION

The N-methyl-D-aspartate/glutamate receptor complex antagonist ketamine decreases pain by diminishing central sensitization and hyperalgesia.1 Ketamine produces anesthesia in which the limbic system is selectively anesthetized. Sensory stimuli are, therefore, prevented from reaching the cerebral cortex, producing analgesia. Ketamine is an effective analgesic administered via intravenous (IV), intranasal (IN), intramuscular (IM), and nebulized routes in the emergency department (ED). Nebulized ketamine via breath-actuated

nebulizer (BAN) has been more recently studied in the ED for pain control.2-4

Breath-actuated nebulizer is a specific nebulizer that creates aerosol only when a patient is inhaling, rather than creating aerosol continuously. In the prehospital setting, ketamine has been used widely and safely in a variety of indications, such as agitation, analgesia, and intubation traditionally via IV, IM, and IN routes.5-8 This report details the use of nebulized ketamine via BAN in the prehospital setting for acute traumatic limb injuries as a noninvasive

Volume 7, no. 1: February 2023 43 Clinical Practice and Cases in Emergency Medicine Case Report
Maimonides Medical Center, Department of Emergency Medicine, Brooklyn, New York

and effective method of analgesic delivery, as well as an alternative to opioid analgesia.

CASE REPORT

A 38-year-old male with no past medical history asked a bystander to call emergency medical services (EMS) after he had fallen 12 feet off a fire escape and landed on his right ankle. An Advanced Life Support ambulance was dispatched and, upon arrival, paramedics found the patient on the ground and unable to ambulate. He complained of 8/10 pain to his right ankle. Airway, breathing, and circulation to all four extremities were intact, and initial vital signs were heart rate (HR) of 100 beats per minute, blood pressure (BP) of 142/76 millimeters of mercury (mm Hg), respiratory rate (RR) of 20 breaths per minute, and oxygen saturation (SpO 2) of 98%. Physical exam was notable for a right ankle deformity.

Paramedics on scene immobilized the patient’s leg in a splint, after which they contacted their online medical control (OLMC) center to discuss options for analgesia. The OLMC physician authorized the delivery of a dose of nebulized ketamine via BAN at 0.75 milligrams per kilogram (mg/kg) mixed with three milliliters (mL) of normal saline. During administration, the patient reported dizziness, which was rated one on a scale from zero to four using the Side Effects Rating Scale of Dissociative Anesthetics. This is a scoring system used to grade severity of medication side effects where zero represents “no change” in symptoms and four represents “very bothersome” symptoms.9 He did not become agitated, dissociated, or sedated.

Thirty minutes after the start of nebulization, pain was measured at 3/10. Repeat vitals at this time were HR 103 beats per minute, BP 128/79 mm Hg, RR 18 breaths per minute, and SpO2 97%. In the ED, at one hour after administration of nebulized ketamine, the patient reported a return of his pain, and was given a dose of four mg IV morphine. Radiograph revealed a right tibial pilon fracture. He was placed in a posterior short leg splint and admitted to the orthopedic service; he was operated on the next day for open reduction and internal fixation of the right ankle joint. He was subsequently discharged post-procedure with orthopedic follow-up.

DISCUSSION

Nebulized ketamine via BAN was successfully used to deliver timely analgesia in a patient with acute traumatic limb injury. At the time of this case, regional EMS protocols permitted use of narcotic medications without prior physician authorization only in the case of isolated extremity injuries. Although there did not appear to be signs of injury aside from the obvious right ankle deformity, the paramedics in this case were concerned for the possibility of additional occult injury based on the injury mechanism. They therefore opted to discuss the case with OLMC prior to treatment; the order

CPC-EM Capsule

What do we already know about this clinical entity?

Low dose ketamine is a well-established medication for pain control via the intravenous route and its use has been explored via the inhalation route.

What makes this presentation of disease reportable?

Although there are instances of nebulized ketamine use in the emergency department, there are very few cases of nebulized ketamine in the prehospital setting.

What is the major learning point?

Nebulized tamine via breath-actuated nebulizer is feasible in the prehospital setting and can produce effective pain control with minimal side effects.

How might this improve emergency medicine practice?

Early non-opioid pain control may be achievable in the prehospital setting without need for intravenous access.

for BAN ketamine then came at the discretion of the OLMC physician over the phone.

The paramedics in this case reported minimal side effects and no significant changes in the vital signs while administering BAN ketamine. Additionally, they stated they would use this approach in the future if permitted because they were able to deliver pain relief quickly prior to obtaining eventual IV access. This is consistent with a national survey of paramedics, where 94% of paramedics who administered ketamine reported that they would use it again if given the opportunity.10 This patient showed a decrease in pain by 57.5% and was provided relief for one hour. This was enough time for the patient to be transported to the ED, complete ED registration and triage processes, and be assigned an ED nurse who could then provide additional analgesics. The patient was very satisfied with the BAN ketamine given by EMS and requested a second dose of it in the ED. By that point, IV access had been established and he was instead given IV analgesics by the primary ED care team for more prolonged pain relief.

Nebulized ketamine via BAN uses a compressed air source to convert liquid medication into an aerosol to allow

Clinical Practice and Cases in Emergency Medicine 44 Volume 7, no. 1: February 2023 Pre-hospital Nebulized Ketamine for Ankle Fracture Quinn et al.

for inhalation, producing smaller particles and greater dose delivery efficiency than standard continuous nebulizers. A BAN has two modes: one that functions as a standard continuous nebulizer, and one that is patient triggered. One study showed a reduction in ambient medication loss by greater than 85% with the use of BAN in comparison to standard continuous nebulizers, providing greater medication delivery to patients and reduced risks of ambient exposure to healthcare staff.11 [We have no financial relationships with any BAN device manufacturer.]

This case report supports past literature on the use of nebulized ketamine in the prehospital setting for acute traumatic limb injuries. A recent study on the use of nebulized ketamine vs IV morphine in the prehospital setting found no difference in the level of pain control achieved by either treatment, with decreased rates of side effects, such as nausea or vomiting, in those treated with nebulized ketamine.12 With a lower side effect profile in comparison to opioids, nebulized ketamine may be an effective alternative to opioid analgesia. Ketamine inhalation in healthy volunteers is easily tolerated and not associated with oropharyngeal irritation, hypersalivation, laryngospasm, cough, dyspnea, tachypnea, aspiration, cardiac dysrhythmias, or desaturations.13,14

Ketamine should be used with caution in those patients who have schizophrenia, are pregnant, or are allergic to the medication. Respiratory side effects can be readily managed by ventilatory support via bag-valve-mask, a skill all prehospital personnel are trained in. Another common side effect is nausea or vomiting, which can be managed with anti-emetics such as ondansetron which ALS can administer. Lastly, agitation is an uncommon side effect that is also within the scope of ALS practice to manage, with techniques ranging from verbal de-escalation to IM antipsychotics.

A dosage of 0.75 mg/kg of ketamine along with three mL of normal saline was administered in the prehospital setting. This dosing comes from the anesthesia literature for post-intubation sore throat, where the average decrease of postoperative throat pain was 44-50% without any major side effects.15 Furthermore, previous studies comparing ketamine dosed at 0.75 mg/kg, 1 mg/kg, and 1.5 mg/kg showed similar efficacy in reduction of pain and side-effect profile.3 While patients can receive up to 1.5 mg/kg, in this particular case, pain was well-controlled and reduced by 57.5% after 0.75 mg/kg.

In situations when IV access is not readily available or where mucosal atomization devices are not easily accessible for IN administration, the use of nebulized ketamine via BAN should be considered for delivery of timely analgesia. This is particularly advantageous in the prehospital setting, in which personnel, time, and resources may be scarce and placing IV access in an ambulance is often difficult. In our region, Basic Life Support ambulances staffed by emergency medical technicians (EMT) often respond to patients with traumatic injuries but have limited options to treat pain in these cases.

While EMTs are trained in administering medications by nebulization (e.g., for asthma or chronic obstructive pulmonary disease exacerbations) they are not trained in obtaining IV access or administering IV medications. Use of nebulized analgesics such as ketamine would expand the ability of prehospital personnel to better care for patients in pain. Implementation may help to improve patient satisfaction scores with regard to better pain control, optimize unit-hour utilization with less time spent on moving patients with painful injuries, and decrease risk of employee needle-stick injuries associated with obtaining IV access.

CONCLUSION

The use of nebulized ketamine via BAN in the prehospital setting may be an effective analgesic option for the management of patients with acute traumatic limb injuries, particularly in those with difficult IV access, where mucosal atomization devices are not accessible, or where opioidsparing treatments are preferable. The implementation of protocols regarding BAN ketamine in the prehospital setting would provide EMS personnel with an additional pain control modality for use in the out-of-hospital setting. The ideal patient is one with acute musculoskeletal pain, but the use of BAN ketamine could be expanded in the future to include other chief complaints, such as burns.

Further studies are needed to continue to evaluate the safety and efficacy of nebulized ketamine in the prehospital setting. Possible confounders include variability in how well EMS personnel immobilize, extricate, and transport patients given their specific injury. With the increased interest in nonopioid treatment and interest in improving the overall patient experience from prehospital to discharge, further prospective clinical trials are warranted to evaluate patient satisfaction, potential for decreased opioid requirements in the ED, and a shorter time to disposition.

The authors attest that their institution requires neither Institutional Review Board approval, nor patient consent for publication of this case report. Documentation on file.

Address for Correspondence: Eric Quinn, MD, Maimonides Medical Center, Department of Emergency Medicine, 965 48th Str, Brooklyn NY, 11219. Email: equinn@maimonidesmed.org.

Conflicts of Interest: By the CPC-EM article submission agreement, all authors are required to disclose all affiliations, funding sources and financial or management relationships that could be perceived as potential sources of bias. The authors disclosed none.

Copyright: © 2023 Quinn et al. This is an open access article distributed in accordance with the terms of the Creative Commons Attribution (CC BY 4.0) License. See: http://creativecommons.org/ licenses/by/4.0/

Volume 7, no. 1: February 2023 45 Clinical Practice and Cases in Emergency Medicine
Quinn et al. Pre-hospital Nebulized Ketamine for Ankle Fracture

Pre-hospital Nebulized Ketamine for Ankle Fracture Quinn et al.

REFERENCES

1. Gao M, Rejaei D, Liu H. Ketamine use in current clinical practice. Acta Pharmacol Sin. 2016;37(7):865-72.

2. Drapkin J, Masoudi A, Butt M, et al. Administration of nebulized ketamine for managing acute pain in the emergency department: a case series. Clin Pract Cases Emerg Med. 2020;4(1):16-20.

3. Dove D, Fassassi C, Davis A, et al. Comparison of nebulized ketamine at three different dosing regimens for treating painful conditions in the emergency department: a prospective, randomized, double-blind clinical trial. Ann Emerg Med. 2021;78(6):779-87.

4. Rhodes AJ, Fagan MJ, Motov SM, et al. Nebulized ketamine for managing acute pain in the pediatric emergency department: a case series. Turk J Emerg Med. 2021;21(2):75-8.

5. Svenson JE and Abernathy MK. Ketamine for prehospital use: new look at an old drug. Am J Emerg Med. 2007;25(8):977-80.

6. Porter K. Ketamine in prehospital care. Emerg Med J 2004;21(3):351-4.

7. Moy RJ and Le Clerc S. Ketamine in prehospital analgesia and anaesthesia. Trends Anaesth Crit Care. 2011;1:243–5.

8. Andolfatto G, Innes K, Dick W, et al. Prehospital analgesia with intranasal ketamine (pain-k): a randomized double-blind trial in adults. Ann Emerg Med. 2019;74(2):241-50.

9. Eide PK, Stubhaug A, Øye I, et al. Continuous subcutaneous administration of the N-methyl-D-aspartic acid (NMDA) receptor antagonist ketamine in the treatment of post-herpetic neuralgia. Pain 1995;61(2):221-8.

10. Buckland DM, Crowe RP, Cash RE, et al. Ketamine in the prehospital environment: a national survey of paramedics in the United States. Prehosp Disaster Med. 2018;33(1):23-8.

11. Ari A and Fink JB. Breath-actuated nebulizer versus smallvolume nebulizer: efficacy, safety, and satisfaction. Respir Care 2012;57(8):1351-3.

12. Azizkhani R, Hassan S, Boroumand A, et al. Analgesic effects of ketamine nebulizer vs. intravenous morphine in limb trauma patients in pre-hospital emergency setting; a randomized double-blinded clinical trial. Front Emerg Med. 2020;4(4):e84.

13. Jonkman K, Duma A, Velzen M, et al. Ketamine inhalation. Br J Anaesth. 2017;118(2):268-9.

14. Jonkman K, Duma A, Olofsen E, et al. Pharmacokinetics and bioavailability of inhaled esketamine in healthy volunteers. Anesthesiology. 2017;127(4):675-83.

15. Reddy M and Fiaz S. Dose-dependent effectiveness of ketamine nebulization in preventing post-operative sore throat due to tracheal intubation. Sri Lankan J Anaesth. 2017;26(1):22–7.

Clinical Practice and Cases in Emergency Medicine 46 Volume 7, no. 1: February 2023

Shoulder Abduction While Using the Bougie: A Common Mistake

University of Kansas Medical Center, Department of Emergency Medicine, Kansas City, Kansas University of Kansas School of Medicine, Kansas City, Kansas

Section Editor: Christopher Sampson, MD

Submission history: Submitted February 6, 2022; Revision received October 3, 2022; Accepted October 10, 2022

Electronically published December 29, 2022

Full text available through open access at http://escholarship.org/uc/uciem_cpcem

DOI: 10.5811/cpcem.2022.10.56372

Case Presentation: A 72-year-old female presented to the emergency department (ED) with exacerbation of chronic obstructive pulmonary disease and congestive heart failure. The patient required intubation for airway protection and hypercapnic respiratory failure. The ED team used a video laryngoscope, Macintosh 3 blade and bougie as the endotracheal tube delivery device. Despite a grade 2a Cormack-Lehane airway view, the bougie repeatedly missed left posterolateral to the airway. During these missed attempts, the emergency medicine (EM) resident’s shoulder was noted to be abducted. The EM resident then readjusted his technique by adducting the shoulder. which allowed the tip of the bougie to pass the vocal cords resulting in successful intubation.

Discussion: The bougie is a useful endotracheal tube delivery device when used properly. Optimal body mechanics and device orientation are critical to successful use. Shoulder abduction while using the bougie is a frequent mistake, which can lead to left posterolateral malposition in relation to the glottis/airway. In this brief review our goal is to aid the intubating clinician in optimal use of the bougie, yielding more successful endotracheal tube passage. [Clin Pract Cases Emerg Med. 2023;7(1):47–48.]

Keywords: airway; bougie; intubation; emergency medicine.

CASE PRESENTATION

A 72-year-old female with past medical history of severe chronic obstructive pulmonary disease (COPD) and congestive heart failure (CHF) presented to the emergency department with progressive shortness of breath. On examination, the patient was in respiratory distress and was encephalopathic. Initial venous blood gas confirmed hypercapnic respiratory failure with a pH of 7.21 (reference range: 7.35-7.44) and partial pressure of carbon dioxide (PCO2) of 102 millimeters of mercury (mm Hg) (36-50 mm Hg). Chest radiograph showed acute pulmonary edema. The patient was placed on bilevel positive airway pressure for a likely combined COPD and CHF exacerbation. Unfortunately, her mental status worsened, and repeat venous blood gas showed a pH of 7.12 and PCO2 of 120 mm Hg.

The decision was made to intubate the patient for airway protection and hypercapnic respiratory failure. The ED team used a video laryngoscope, Macintosh 3 blade, and bougie as the endotracheal tube delivery device. Rapid sequence intubation was initiated with 150 milligrams (mg) of intravenous (IV) ketamine

and 100 mg of IV rocuronium (patient weighed 86 kilograms). Despite a grade 2a Cormack-Lehane airway view, the bougie repeatedly missed left posterolateral to the airway (Image 1). During these missed attempts, the emergency medicine (EM)

Volume 7, no. 1: February 2023 47 Clinical Practice and Cases in Emergency Medicine Images in Emergency Medicine
* †
Image 1. Emergency medicine resident’s right shoulder abducted correlating with the bougie missing left posterolateral to the airway.

Shoulder Abduction While Using the Bougie: A Common Mistake

resident’s shoulder was noted to be abducted. The resident then readjusted his technique by adducting the shoulder, which allowed the tip of the bougie to pass the vocal cords resulting in successful intubation (Image 2).

CPC-EM Capsule

What do we already know about this clinical entity?

Using the bougie with proper technique as an airway adjunct with Macintosh video laryngoscopy has a high first-pass success in the emergency department.

What is the major impact of the image(s)?

If the clinician tucks their elbow to the side (shoulder adduction), this parallel orientation of the bougie and airway increases successful use of the device.

How might this improve emergency medicine practice?

By emphasizing proper bougie technique in medical education, clinicians may improve the rate of successful intubation.

DISCUSSION

When the bougie is used as an adjunct with Macintosh video laryngoscopy in the ED, first-pass success has been reported at 98%.1 A survey of EM residency program directors found that the teaching and utilization of the bougie as an airway adjunct is rare.2 Unfamiliarity with the bougie leads to improper technique resulting in failure and abandonment of the bougie for other airway approaches. First-pass success for all other intubating approaches has been reported at 84%.3 Although shoulder mechanics while using the bougie has not been tracked or researched in any formal fashion, learners who abduct their shoulder resulting in the tip of the bougie missing the airway left posterolateral has been a frequently observed behavior in our ED over the past several years.

While our patient did not decompensate during missed attempts (ongoing apneic oxygenation likely prevented any desaturation), patient deterioration from a delay in intubation by improper technique is a risk.

Shoulder abduction (i.e., “chicken-winging”) results in an oblique orientation of the bougie relative to the airway. Shoulder adduction (tucking elbow to side) results in parallel orientation of the bougie and airway. It is important to note that all clinicians use the bougie differently and this technique may not apply to all intubators. For example, some bougie users will pre-load the endotracheal tube onto the bougie, and shoulder mechanics may affect a preloaded bougie differently. As use of the bougie becomes more common, there is value in dedicated instruction on proper technique and use of the device.

The authors attest that their institution requires neither Institutional Review Board approval, nor patient consent forpublication of this case report. Documentation on file.

Address for Correspondence: John J. Horky, DO, University of Kansas Medical Center, Department of Emergency Medicine, 3901 Rainbow Blvd, Mailstop 1045, Kansas City, KS 66103. Email: horkyjohn6@gmail.com.

Conflicts of Interest: By the CPC-EM article submission agreement, all authors are required to disclose all affiliations, funding sources and financial or management relationships that could be perceived as potential sources of bias. The authors disclosed none.

Copyright: © 2023 Horky et al. This is an open access article distributed in accordance with the terms of the Creative Commons Attribution (CC BY 4.0) License. See: http://creativecommons.org/ licenses/by/4.0/

REFERENCES

1. Driver B, Dodd K, Klein LR, et al. The bougie and first-pass success in the emergency department. Ann Emerg Med. 2017;70(4):473-8.

2. Reeder TJ, Brown CK, Norris DL. Managing the difficulty airway: a survey of residency directors and a call for change. J Emerg Med. 2005;28(4):473-8

3. Park L, Zeng I, Brainard A. Systematic review and meta-analysis of first-pass success rates in emergency department intubation: creating a benchmark for emergency airway care. Emerg Med Australas. 2017;29(1):40-7.

Clinical Practice and Cases in Emergency Medicine 48 Volume 7, no. 1: February 2023
Horky et al.
Image 2. Emergency medicine resident’s right shoulder now adducted, which repositioned the tip of the bougie allowing it to pass through vocal cords.

Man with Pleuritic Chest Pain

Section Editor: Manish Amin, DO

Submission history: Submitted June 29, 2022; Revision received October 16, 2022; Accepted October 20, 2022

Electronically published Febraury 9, 2023

Full text available through open access at http://escholarship.org/uc/uciem_cpcem DOI: 10.5811/cpcem.2022.10.57915

Case Presentation: We describe a case of epipericardial fat necrosis.

Discussion: Epipericardial fat necrosis is an inflammatory condition in which the pericardial fat pad necrotizes resulting in surrounding inflammation. This condition mimics more ominous pathology in clinical presentation and radiographic findings. Management is supportive with oral analgesics. [Clin Pract Cases Emerg Med. 2023;7(1):49–50.]

Keywords: Epipericardial fat necrosis; pericardial fat necrosis; epicardial fat necrosis.

CASE PRESENTATION

A 39-year-old male presented to the emergency department (ED) for three days of right-sided, pleuritic chest pain. The patient denied any preceding trauma or illness. Examination revealed no overlying skin changes or reproducible chest wall tenderness, although lung sounds were noted to be diminished near the right lung base. His vital signs were as follows: temperature of 98.2° Fahrenheit; respiratory rate of 17 breaths per minute; pulse oximetry of 95% on room air; blood pressure of 135/82 millimeters of mercury; and heart rate of 92 beats per minute. Chest radiograph revealed a right pleural effusion with right base consolidation suspicious for pneumonia (Image 1). Based on historical factors not consistent with pneumonia and discussion with the radiologist, a computed tomography (CT) chest without contrast was initially ordered. The CT chest demonstrated multilobular consolidations within the right lung with an associated moderate volume pleural effusion (Image 2). Subsequent concerns about possible pulmonary infarction as a cause of the pleural effusion prompted a CT angiogram. Computed tomography angiography demonstrated acute epipericardial fat necrosis with sympathetic right pleural effusion and right lung atelectasis (Image 3). The patient’s pain was controlled with oral analgesics during evaluation in the ED; he was then discharged home with continued oral analgesic therapy.

DISCUSSION

Epipericardial fat necrosis is a rare benign condition1 that presents as acute pleuritic chest pain. The description

of symptoms may reflect that of more ominous pathologies including acute myocardial infarction, pulmonary embolism, or acute pericarditis.2 Epipericardial fat necrosis

Volume 7, no. 1: February 2023 49 Clinical Practice and Cases in Emergency Medicine Images in Emergency Medicine
* †
Brooke Army Medical Center, Department of Emergency Medicine, San Antonio, Texas Methodist Hospital, Emergency Department, San Antonio, Texas Image 1. Chest radiograph. Arrow pointing at right-sided pleural effusion.

is characterized as a self-limited inflammatory process occurring inside the epipericardial fat—the tissue connecting the pericardial layer to the anterior thoracic wall. 3 Findings on chest radiograph are typically nonspecific. 4 Computed tomography is the imaging modality of choice for diagnosis, although a CT angiogram may be warranted to rule out pulmonary embolism.5 Current management is supportive centering around oral analgesia, typically non-steroidal anti-inflammatories.3 A follow-up, non-contrast enhanced CT should be considered at 4-8 weeks to confirm expected healing.5

Documented patient informed consent and/or Institutional Review Board approval has been obtained and filed for publication of this case report.

CPC-EM Capsule

What do we already know about this clinical entity?

Epipercardial fat necrosis is a self-limited, inflammatory condition which often causes chest pain and radiographic findings suggestive of more ominous pathologies.

What is the major impact of the image(s)?

These images demonstrate the characteristic fat pad changes in combination with radiographic findings that may also be present with more ominous pathologies.

How might this improve emergency medicine practice?

Early recognition of this etiology may reduce excessive imaging and aid in the initiation of appropriate management.

Address for Correspondence: Tanner G. Greiving, MD, Brooke Army Medical Center, Emergency Department, San Antonio Uniformed Services Health Education Consortium, Department of Emergency Medicine, 3551 Roger Brooke Dr, Fort Sam Houston, TX 78234. Email: tanner.greiving@gmail.com.

Conflicts of Interest: By the CPC-EM article submission agreement, all authors are required to disclose all affiliations, funding sources and financial or management relationships that could be perceived as potential sources of bias. This review does not reflect the views or opinions of the U.S. government, Department of Defense, Defense Health Agency, U.S. Army, U.S. Air Force, or SAUSHEC EM Residency Program. The authors disclosed none.

Copyright: © 2023 Greiving et al. This is an open access article distributed in accordance with the terms of the Creative Commons Attribution (CC BY 4.0) License. See: http://creativecommons.org/ licenses/by/4.0/

REFERENCES

1. Hernandez D, Galimany J, Pernas JC, et al. Case 170: Pericardial fat necrosis. Radiology 2011;259(3):919–22.

2. Pineda V, Cáceres J, Andreu J, et al. Epipericardial fat necrosis: radiologic diagnosis and follow-up. Am J Roentgenol. 2005;185(5):1234-6.

3. Giassi KdS, Costa AN, Bachion GH, et al. Epipericardial fat necrosis: an underdiagnosed condition. Br J Radiol. 2014;87(1038):20140118.

4. Jackson RC, Clagett OT, Mcdonald JR. Pericardial fat necrosis: report of three cases. J Thorac Surg. 1957;33(6):723-9.

5. Ataya D, Chowdhry AA, Mohammed TH. Epipericardial fat pad necrosis. J Thorac Imaging. 2011;26(4):W140-2.

Clinical Practice and Cases in Emergency Medicine 50 Volume 7, no. 1: February 2023 Man with Pleuritic Chest Pain Greiving et al.
Image 2. Non-contrast enhanced computed tomography of the chest. Arrow pointing at multilobular atelectasis and pleural effusion. Image 3. Computed tomography angiogram of the chest. Arrow pointing at an encapsulated mediastinal fatty lesion with soft tissue stranding. Other notable findings include sympathetic right pleural effusion with right lung atelectasis.

A Rare Malposition of a Left Internal Jugular Central Venous Catheter into the Left Internal Mammary Vein

Section Editor: Manish Amin, MD

NYU School of Medicine, Ronald O. Perelman Department of Emergency Medicine, New York, New York Bellevue Hospital Center, Department of Emergency Medicine, New York, New York

Submission history: Submitted July 30, 2022; Revision received December 15, 2022; Accepted December 15, 2022

Electronically published January 24, 2023

Full text available through open access at http://escholarship.org/uc/uciem_cpcem

DOI: 10.5811/cpcem.2022.12.58202

Case Presentation: We describe a case of left internal jugular central venous access with rare malpositioning into the internal mammary vein. Despite various confirmatory measures at the time of placement including ultrasonography of the internal jugular vein, as well as blood gas analysis consistent with venous blood by oxygen saturation and good venous flow in all three ports of the catheter, subsequent imaging confirmed misplacement into the internal mammary vein.

Discussion: Central venous access is a frequently used procedure by emergency physicians for a variety of indications. Emergency physicians must be facile with both the technical process of central venous catheter placement, as well as possible pitfalls and complications of the procedure. Common complications, such as bleeding, pneumothorax, arterial injury, infection, and hematomas, are usually well known; less frequently encountered is malposition of the catheter despite seemingly appropriate placement. [Clin Pract Cases Emerg Med. 2023;7(1):51–53.]

Keywords: central venous catheter; internal mammary vein; internal jugular vein; central access; case report.

CASE PRESENTATION

A 39-year-old female patient with a known history of intravenous (IV) drug use presented to the emergency department with fever, alteration of mental status, tachycardia, and hypotension. Intravenous access was difficult, and only a small-bore peripheral venous line could be obtained. Due to persistent hypotension, the decision was made to place a central venous catheter for reliable IV access and to initiate vasopressor therapy. A multilumen central venous catheter was placed under ultrasound guidance by Seldinger technique after left internal jugular vein puncture. The J-tip guidewire was advanced without resistance to a depth of about 20 centimeters (cm); the skin was dilated and the catheter was advanced over the wire without resistance. The catheter was fixed at 16 cm depth. After placement, ultrasonography of the neck confirmed the presence of the catheter in the internal jugular vein; all three ports flushed and aspirated blood easily. A venous blood gas sample was

sent to the laboratory and the oxygen saturation (40%) was consistent with venous placement.

Anterior-posterior chest radiograph (CXR) obtained after placement of the central venous catheter revealed the catheter taking an atypical course, projecting over the left mediastinum, not crossing the midline (Image 1). A computed tomography of the chest demonstrated the catheter coursing from the left internal jugular into the left internal mammary vein (Images 2 and 3). The patient was ultimately admitted to the intensive care unit, and the central venous line was removed at the bedside and replaced.

DISCUSSION

We describe an unusual malpositioning of a central venous catheter into the internal mammary vein. Some complications of central venous access are well chronicled;1 however, internal mammary vein cannulation is a known but rarely reported complication, with only a

Volume 7, no. 1: February 2023 51 Clinical Practice and Cases in Emergency Medicine Images in Emergency Medicine
* †

handful of cases in the literature.2–5 Although a number of more common complications can be quickly ruled out without imaging – blood gas analysis and ultrasound imaging at bedside, for example, can confirm venous system placement and rule out pneumothorax1 – in this case, only on CXR was the misplacement identified. Chest pain during placement and/or aspiration/flushing has been reported as a possible sign of this specific malposition site,4 but in an altered or critically ill patient, this may not be a reliable indicator, as in this case.

CPC-EM Capsule

What do we already know about this clinical entity?

Some complications of central venous catheter placement are more common and well known, including bleeding, pneumothorax, arterial injury, infection, and hematomas.

What is the major impact of the image(s)?

This case describes a rare malpositioning complication into the internal mammary vein despite confirmatory measures that suggested good placement.

How might this improve emergency medicine practice?

Emergency physicians should remain vigilant for these rare complications and always confirm placement in multiple ways to assure appropriate catheter placement.

Chest radiography will demonstrate a catheter coursing over the left side of the chest, which can also be seen in other misplaced central venous lines (pleural space, arterial, etc) While misplacement into arterial, soft tissue, or other non-venous sites is usually quickly identified via the above confirmatory measures, misplacement into unusual, undesired venous sites, which could also include the

Clinical Practice and Cases in Emergency Medicine 52 Volume 7, no. 1: February 2023 Rare Malposition of Left Internal Jugular Central Venous Catheter Koziatek et al.
Image 1. Anterior-posterior chest radiograph demonstrating the central venous catheter coursing atypically, over the left mediastinum, not crossing the midline (arrows). Image 2. Coronal slice of chest computed tomography demonstrates the central venous catheter within the internal mammary vein, to the left and posterior to the sternum (white arrow). Image 3. Saggital slice of chest computed tomography demonstrates the central venous catheter within the internal mammary vein, posterior to the sternum, coursing anterior to the great vessels and pleural space (white arrows).

Koziatek et al.

pericardiophrenic vein or the subclavian vein, may only be recognized with subtle abnormal imaging findings. A misplaced catheter in this position should not be used due to the risk of vessel damage and should be removed. Emergency physicians should be aware of the rarer possible complications of this commonly performed procedure and their appearance on imaging studies.

Documented patient informed consent and/or Institutional Review Board approval has been obtained and filed for publication of this case report.

Address for Correspondence: Christian Koziatek, MD, NYU School of Medicine, Ronald O. Perelman Department of Emergency Medicine, 462 First Avenue, Room A345A, New York, NY 10016. Email: christian.koziatek@nyumc.org.

REFERENCES

1. Saugel B, Scheeren TWL, Teboul JL. Ultrasound-guided central venous catheter placement: a structured review and recommendations for clinical practice. Crit Care. 2017;21(1):225.

2. Kela M, Munde H, Raut S. Accidental placement of central venous catheter into internal mammary vein: a rare catheter malposition. Ann Card Anaesth. 2017;20(4):477-8.

3. Sandroni C, Pirronti T, Tortora F, et al. Unusual central venous

Rare Malposition of Left Internal Jugular Central Venous Catheter

Conflicts of Interest: By the CPC-EM article submission agreement, all authors are required to disclose all affiliations, funding sources and financial or management relationships that could be perceived as potential sources of bias. The authors disclosed none.

Copyright: © 2023 Koziatek et al. This is an open access article distributed in accordance with the terms of the Creative Commons Attribution (CC BY 4.0) License. See: http://creativecommons.org/ licenses/by/4.0/

catheter malposition into the left internal mammary vein: a case report. Intensive Care Med. 2003;29(12):2338-9.

4. Stone PA, Hass SM, Knackstedt KS, et al. Malposition of a central venous catheter into the right internal mammary vein: review of complications of catheter misplacement. Vasc Endovascular Surg 2012;46(2):187-9.

5. House LML, Yen A, Bokoch MP. Central venous catheter in the internal mammary vein. Anesthesiology. 2019;131(2):397.

Volume 7, no. 1: February 2023 53 Clinical Practice and Cases in Emergency Medicine

50 CALIFORNIA ACEP ANNIVERSARY

Turn static files into dynamic content formats.

Create a flipbook

Articles inside

A Rare Malposition of a Left Internal Jugular Central Venous Catheter into the Left Internal Mammary Vein

4min
pages 59-61

Man with Pleuritic Chest Pain

3min
pages 57-58

Shoulder Abduction While Using the Bougie: A Common Mistake

2min
page 56

Shoulder Abduction While Using the Bougie: A Common Mistake

1min
page 55

Nebulized Ketamine Used for Managing Ankle Fracture in the Prehospital Emergency Setting: A Case Report

10min
pages 51-54

Acute Intracranial Subdural Hematoma Masquerading as a Postpartum Headache: A Case Report

9min
pages 47-50

Bilateral Erector Spinae Plane Block for Man o’ War Stings: A Case Report

7min
pages 44-46

A Case Report of Ruptured Popliteal Aneurysm in the Setting of Blunt Trauma

5min
pages 41-43

Emergency Department Treatment Provides Immediate and Durable Relief Following Vaccine Injury: A Case Report

8min
pages 37-40

A Rare Cause of Headache and an Unorthodox Transfer: A Case Report

12min
pages 32-36

Rare Adult-onset Citrullinemia Type 1 in the Postpartum Period: A Case Report

9min
pages 28-31

Mysterious Pelvic Hematoma in a Patient Who Speaks a Rare Ethiopian Dialect: A Case Report

8min
pages 24-27

Bilateral Tubal Pregnancies Presenting 11 Days Apart: A Case Report

11min
pages 19-23

A Benign Mimic of Dangerous Neck Pathology: A Case Report of Longus Colli Calcific Tendonitis

8min
pages 15-18

45-year-old Male with Bilateral Lower Extremity Wounds, Swelling, and Rash

14min
pages 9-14

Clinical Practice and Cases in Emergency Medicine

1min
pages 5, 8

Clinical Practice and Cases in Emergency Medicine

1min
page 1
Issuu converts static files into: digital portfolios, online yearbooks, online catalogs, digital photo albums and more. Sign up and create your flipbook.