







with all
with all
Indexed in MEDLINE, PubMed, and Clarivate Web of Science, Science Citation Index Expanded
Andrew W. Phillips, MD, Associate Editor
DHR Health-Edinburg, Texas
Edward Michelson, MD, Associate Editor
Texas Tech University- El Paso, Texas
Dan Mayer, MD, Associate Editor
Retired from Albany Medical College- Niskayuna, New York
Wendy Macias-Konstantopoulos, MD, MPH, Associate Editor
Massachusetts General Hospital- Boston, Massachusetts
Gayle Galletta, MD, Associate Editor
University of Massachusetts Medical SchoolWorcester, Massachusetts
Yanina Purim-Shem-Tov, MD, MS, Associate Editor
Rush University Medical Center-Chicago, Illinois
AAEM/RSA
John J. Campo, MD
Harbor-University of California, Los Angeles Medical Center
Tehreem Rehman, MD Advocate Christ Medical Center
ACOEP
Justina Truong, DO Kingman Regional Medical Center
Section Editors
Behavioral Emergencies
Leslie Zun, MD, MBA
Chicago Medical School
Marc L. Martel, MD
Hennepin County Medical Center
Cardiac Care
Fred A. Severyn, MD
University of Colorado School of Medicine
Sam S. Torbati, MD
Cedars-Sinai Medical Center
Clinical Practice
Cortlyn W. Brown, MD Carolinas Medical Center
Casey Clements, MD, PhD Mayo Clinic
Patrick Meloy, MD Emory University
Nicholas Pettit, DO, PhD Indiana University
David Thompson, MD University of California, San Francisco
Kenneth S. Whitlow, DO Kaweah Delta Medical Center
Critical Care
Christopher “Kit” Tainter, MD University of California, San Diego
Gabriel Wardi, MD University of California, San Diego
Joseph Shiber, MD University of Florida-College of Medicine
Matt Prekker MD, MPH Hennepin County Medical Center
David Page, MD University of Alabama
Erik Melnychuk, MD Geisinger Health
Mark I. Langdorf, MD, MHPE, Editor-in-Chief
University of California, Irvine School of MedicineIrvine, California
Shahram Lotfipour, MD, MPH, Managing Editor
University of California, Irvine School of MedicineIrvine, California
Michael Gottlieb, MD, Associate Editor
Rush Medical Center-Chicago, Illinois
Niels K. Rathlev, MD, Associate Editor
Tufts University School of Medicine-Boston, Massachusetts
Rick A. McPheeters, DO, Associate Editor
Kern Medical- Bakersfield, California
Gentry Wilkerson, MD, Associate Editor University of Maryland
Quincy Tran, MD, PhD
University of Maryland
Disaster Medicine
Christopher Kang, MD Madigan Army Medical Center
Education
Danya Khoujah, MBBS
University of Maryland School of Medicine
Jeffrey Druck, MD University of Colorado
John Burkhardt, MD, MA
University of Michigan Medical School
Michael Epter, DO Maricopa Medical Center
ED Administration, Quality, Safety David C. Lee, MD Northshore University Hospital
Gary Johnson, MD
Upstate Medical University
Brian J. Yun, MD, MBA, MPH Harvard Medical School
Laura Walker, MD Mayo Clinic
León D. Sánchez, MD, MPH Beth Israel Deaconess Medical Center
William Fernandez, MD, MPH University of Texas Health-San Antonio
Robert Derlet, MD
Founding Editor, California Journal of Emergency Medicine University of California, Davis
Emergency Medical Services
Daniel Joseph, MD Yale University
Joshua B. Gaither, MD University of Arizona, Tuscon
Julian Mapp
University of Texas, San Antonio
Shira A. Schlesinger, MD, MPH Harbor-UCLA Medical Center
Geriatrics
Cameron Gettel, MD Yale School of Medicine
Stephen Meldon, MD Cleveland Clinic
Luna Ragsdale, MD, MPH Duke University
Shadi Lahham, MD, MS, Deputy Editor
Kaiser Permanente- Irvine, California
Susan R. Wilcox, MD, Associate Editor
Massachusetts General Hospital- Boston, Massachusetts
Elizabeth Burner, MD, MPH, Associate Editor
University of Southern California- Los Angeles, California
Patrick Joseph Maher, MD, MS, Associate Editor
Ichan School of Medicine at Mount Sinai- New York, New York
Donna Mendez, MD, EdD, Associate Editor
University of Texas-Houston/McGovern Medical School- Houston Texas
Danya Khoujah, MBBS, Associate Editor
University of Maryland School of Medicine- Baltimore, Maryland
Pacific Northwest University
Emily C. Manchanda, MD, MPH
Boston University School of Medicine
Mandy J. Hill, DrPH, MPH
UT Health McGovern Medical School
Elissa Schechter-Perkins, MD, MPH Boston University School of Medicine
Ioannis Koutroulis, MD, MBA, PhD George Washington University School of Medicine and Health Sciences
Kevin Lunney, MD, MHS, PhD University of Maryland School of Medicine
Stephen Liang, MD, MPHS Washington University School of Medicine
Victor Cisneros, MD, MPH Eisenhower Medical Center
Injury Prevention
Mark Faul, PhD, MA Centers for Disease Control and Prevention
Wirachin Hoonpongsimanont, MD, MSBATS Eisenhower Medical Center
International Medicine
Heather A.. Brown, MD, MPH Prisma Health Richland
Taylor Burkholder, MD, MPH Keck School of Medicine of USC Christopher Greene, MD, MPH University of Alabama
Chris Mills, MD, MPH Santa Clara Valley Medical Center
Shada Rouhani, MD Brigham and Women’s Hospital
Legal Medicine
Melanie S. Heniff, MD, JD Indiana University School of Medicine
Greg P. Moore, MD, JD Madigan Army Medical Center
Statistics and Methodology
Shu B. Chan MD, MS Resurrection Medical Center
Stormy M. Morales Monks, PhD, MPH Texas Tech Health Science University
Soheil Saadat, MD, MPH, PhD University of California, Irvine
James A. Meltzer, MD, MS
Albert Einstein College of Medicine
Musculoskeletal
Juan F. Acosta DO, MS
Rick Lucarelli, MD
Medical City Dallas Hospital
William D. Whetstone, MD
University of California, San Francisco
Neurosciences
Antonio Siniscalchi, MD
Annunziata Hospital, Cosenza, Italy
Pediatric Emergency Medicine
Paul Walsh, MD, MSc
University of California, Davis
Muhammad Waseem, MD
Lincoln Medical & Mental Health Center
Cristina M. Zeretzke-Bien, MD University of Florida
Public Health
Jacob Manteuffel, MD Henry Ford Hospital
John Ashurst, DO
Lehigh Valley Health Network
Tony Zitek, MD
Kendall Regional Medical Center
Trevor Mills, MD, MPH
Northern California VA Health Care
Erik S. Anderson, MD
Alameda Health System-Highland Hospital Technology in Emergency Medicine
Nikhil Goyal, MD
Henry Ford Hospital
Phillips Perera, MD
Stanford University Medical Center
Trauma
Pierre Borczuk, MD
Massachusetts General Hospital/Havard Medical School
Toxicology
Brandon Wills, DO, MS
Virginia Commonwealth University
Jeffrey R. Suchard, MD
University of California, Irvine
Ultrasound
J. Matthew Fields, MD
Thomas Jefferson University
Shane Summers, MD
Brooke Army Medical Center
Robert R. Ehrman
Wayne State University
Ryan C. Gibbons, MD Temple Health
Available in MEDLINE, PubMed, PubMed Central, CINAHL, SCOPUS, Google Scholar, eScholarship, Melvyl, DOAJ, EBSCO, EMBASE, Medscape, HINARI, and MDLinx Emergency Med. Members of OASPA.
Editorial and Publishing Office: WestJEM/Depatment of Emergency Medicine, UC Irvine Health, 3800 W. Chapman Ave. Suite 3200, Orange, CA 92868, USA Office: 1-714-456-6389; Email: Editor@westjem.org
Integrating Emergency Care with Population Health
Indexed in MEDLINE, PubMed, and Clarivate Web of Science, Science Citation Index Expanded
Amin A. Kazzi, MD, MAAEM
The American University of Beirut, Beirut, Lebanon
Anwar Al-Awadhi, MD Mubarak Al-Kabeer Hospital, Jabriya, Kuwait
Arif A. Cevik, MD
United Arab Emirates University College of Medicine and Health Sciences, Al Ain, United Arab Emirates
Abhinandan A.Desai, MD University of Bombay Grant Medical College, Bombay, India
Bandr Mzahim, MD King Fahad Medical City, Riyadh, Saudi Arabia
Brent King, MD, MMM University of Texas, Houston
Christopher E. San Miguel, MD Ohio State University Wexner Medical Center
Daniel J. Dire, MD University of Texas Health Sciences Center San Antonio
David F.M. Brown, MD Massachusetts General Hospital/ Harvard Medical School
Douglas Ander, MD Emory University
Edward Michelson, MD Texas Tech University
Edward Panacek, MD, MPH University of South Alabama
Francesco Della Corte, MD
Azienda Ospedaliera Universitaria “Maggiore della Carità,” Novara, Italy
Francis Counselman, MD Eastern Virginia Medical School
Gayle Galleta, MD Sørlandet Sykehus HF, Akershus Universitetssykehus, Lorenskog, Norway
Hjalti Björnsson, MD Icelandic Society of Emergency Medicine
Jacob (Kobi) Peleg, PhD, MPH Tel-Aviv University, Tel-Aviv, Israel
Jaqueline Le, MD Desert Regional Medical Center
Jeffrey Love, MD The George Washington University School of Medicine and Health Sciences
Jonathan Olshaker, MD Boston University
Katsuhiro Kanemaru, MD University of Miyazaki Hospital, Miyazaki, Japan
Elena Lopez-Gusman, JD
California ACEP American College of Emergency Physicians
Jennifer Kanapicki Comer, MD FAAEM
California Chapter Division of AAEM Stanford University School of Medicine
Katie Geraghty
American College of Osteopathic Emergency Physicians
Kimberly Ang, MBA UC Irvine Health School of Medicine
Randall J. Young, MD, MMM, FACEP
California ACEP American College of Emergency Physicians
Kaiser Permanente
Mark I. Langdorf, MD, MHPE, FAAEM, FACEP
UC Irvine Health School of Medicine
Robert Suter, DO, MHA American College of Osteopathic Emergency Physicians UT Southwestern Medical Center
Shahram Lotfipour, MD, MPH FAAEM, FACEP UC Irvine Health School of Medicine
Jorge Fernandez, MD, FACEP UC San Diego Health School of Medicine
Kenneth V. Iserson, MD, MBA University of Arizona, Tucson Khrongwong Musikatavorn, MD King Chulalongkorn Memorial Hospital, Chulalongkorn University, Bangkok, Thailand
Leslie Zun, MD, MBA Chicago Medical School
Linda S. Murphy, MLIS University of California, Irvine School of Medicine Librarian
Nadeem Qureshi, MD St. Louis University, USA Emirates Society of Emergency Medicine, United Arab Emirates
Niels K. Rathlev, MD Tufts University School of Medicine
Pablo Aguilera Fuenzalida, MD Pontificia Universidad Catolica de Chile, Región Metropolitana, Chile
Peter A. Bell, DO, MBA Baptist Health Sciences University
Peter Sokolove, MD University of California, San Francisco
Rachel A. Lindor, MD, JD Mayo Clinic
Robert M. Rodriguez, MD
University of California, San Francisco
Robert Suter, DO, MHA UT Southwestern Medical Center
Robert W. Derlet, MD University of California, Davis
Rosidah Ibrahim, MD Hospital Serdang, Selangor, Malaysia
Samuel J. Stratton, MD, MPH Orange County, CA, EMS Agency
Scott Rudkin, MD, MBA University of California, Irvine
Scott Zeller, MD University of California, Riverside
Steven H. Lim, MD
Changi General Hospital, Simei, Singapore
Terry Mulligan, DO, MPH, FIFEM ACEP Ambassador to the Netherlands Society of Emergency Physicians
Vijay Gautam, MBBS
University of London, London, England
Wirachin Hoonpongsimanont, MD, MSBATS
Siriraj Hospital, Mahidol University, Bangkok, Thailand
Isabelle Nepomuceno, BS Executive Editorial Director
Visha Bajaria, BS WestJEM Editorial Director
Anuki Edirimuni, BS WestJEM Editorial Director
Zaynab Ketana, BS CPC-EM Editorial Director Associate Marketing Director
Stephanie Burmeister, MLIS WestJEM Staff Liaison
Cassandra Saucedo, MS Executive Publishing Director
Jordan Lam, BS WestJEM Publishing Director
Anthony Hoang, BS WestJEM Associate Publishing Director
Rubina Rafi, BS CPC-EM Publishing Director
Avni Agrawal, BS WestJEM Associate Publishing Director Associate Marketing Director
June Casey, BA Copy Editor
Available in MEDLINE, PubMed, PubMed Central, Europe PubMed Central, PubMed Central Canada, CINAHL, SCOPUS, Google Scholar, eScholarship, Melvyl, DOAJ, EBSCO, EMBASE, Medscape, HINARI, and MDLinx Emergency Med. Members of OASPA.
Editorial and Publishing Office: WestJEM/Depatment of Emergency Medicine, UC Irvine Health, 3800 W. Chapman Ave. Suite 3200, Orange, CA 92868, USA Office: 1-714-456-6389; Email: Editor@westjem.org
Western Journal of Emergency Medicine ii Volume 23, no. 5: September 2022
Official Journal of the California Chapter of the American College of Emergency Physicians, the America College of Osteopathic Emergency Physicians, and the California Chapter of the American Academy of Emergency Medicine Editorial StaffIntegrating Emergency Care with Population Health Indexed in MEDLINE, PubMed, and Clarivate Web of Science, Science Citation Index Expanded
Emergency medicine is a specialty which closely reflects societal challenges and consequences of public policy decisions. The emergency department specifically deals with social injustice, health and economic disparities, violence, substance abuse, and disaster preparedness and response. This journal focuses on how emergency care affects the health of the community and population, and conversely, how these societal challenges affect the composition of the patient population who seek care in the emergency department. The development of better systems to provide emergency care, including technology solutions, is critical to enhancing population health.
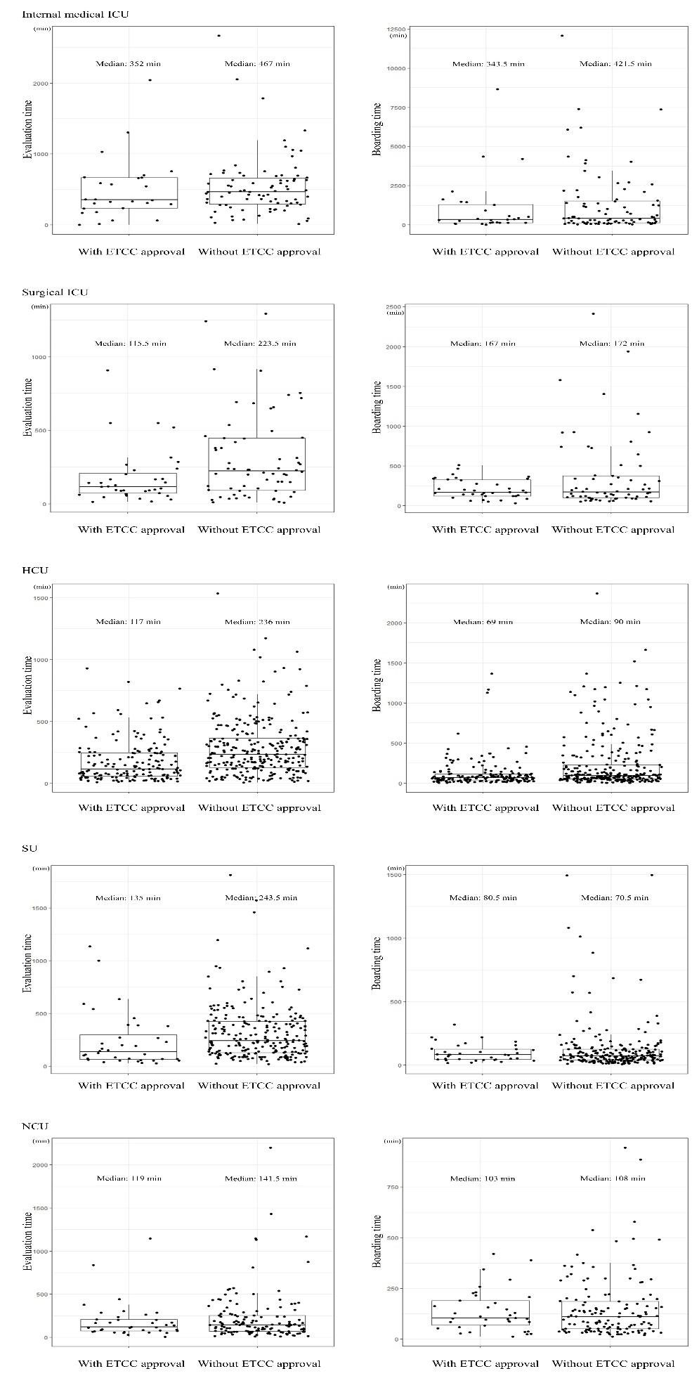
846 Effects of Emergency Transfer Coordination Center on Length of Stay of Critical Patients in the Emergency Department S Moon, J Lee, H Lee, H Kim, M Lee, I Park, H Chung, J Kim
855 Chief Complaints, Underlying Diagnoses, and Mortality in Acute Non-Trauma Adult Patients Arriving at a Hospital: A Population-Based, Multicenter Cohort Study (COMPASS)
MD Arvig, CB Mogensen, H Skjøt-Arkil, ISJohansen, FS Rosenvinge, AT Lassen
Clinical Practice
864 Opioid Analgesic Use After an Acute Pain Visit: Evidence from a Urolithiasis Patient Cohort AE Wentz, RC Wang, BDL Marshall, TI Shireman, T Liu, RC Merchant
872 Bedside Fluorescence Microangiography for Frostbite Diagnosis in the Emergency Department
SM Raleigh, M Samson, R Nygaard, F Endorf, J Walter, T Masters
878 Trend of Regional Anesthesia in Emergency Medicine: An Observational Study of Published Articles T Tsai, H Yeh, Y Liu, C Lee, K Chen, EH Chou, J Sun, K Chen, Y Lee, S Chau
Education
886 Gender Evaluation and Numeric Distribution in Emergency Medicine Residencies (GENDER): A Retrospective Analysis of Gender Ratios Among Residents and Residency Directors From 2014-2017 R Gibney, C Cantwell, S Toohey, M Boysen-Osborn, W Wiechmann, S Saadat, A Allen, A Wray
890 Moving Beyond the Binary: How Language and Common Research Practices Can Make Emergency Medicine Less Welcoming for Some Learners and Physicians A Farthing, J Burkhardt
893 The Effect of COVID-19 on United States Pediatric Emergency Departments and its Impact on Trainees JA Bailey, N Nadeau, K Jordan, H Yerxa, SHF Lam
Endemic Infections
897 Management and Outcome of COVID-19 Positive and Negative Patients in French Emergency Departments During the First COVID-19 Outbreak: a Prospective Controlled Cohort Study M Douplat, A Gavoille, F Subtil, J Haesebaert, L Jacquin, G Durand, JC Lega, T Perpoint, V Potinet, J Berthiller, N Perreton, K Tazarourte
907 Unexpected ICU Transfer and Mortality in COVID-19 as it Relates to Hospital Volume CM Dahn, S Maheshwari, D Stansky, S Smith, D Lee
Policies for peer review, author instructions, conflicts of interest and human and animal subjects protections can be found online at www.westjem.com.
Volume 23, no. 5: September 2022 iii
Western Journal of Emergency Medicine
Integrating Emergency Care with Population Health
Indexed in MEDLINE, PubMed, and Clarivate Web of Science, Science Citation Index Expanded
Women’s Health
913 Accuracy of Point of Care Ultrasound in Diagnosing Acute Appendicitis During Pregnancy D Abgottspon, K Putora, J Kinkel, K Süveg, B Widmann, R Hornung, B Minotti
919 Post-Abortion Complications: A Narrative Review for Emergency Clinicians R Bridwell, B Long, T Montrief, M Gottlieb
Critical Care
926 Renitrogenation after Maximal Denitrogenation in Healthy Volunteers in the Supine and Sitting Position JR West, R Levine, J Raggi, D Nguyen, M Oliver, ND Caputo, JC Sakles
Injury Prevention
931 Electronic Screening For Adolescent Risk Behaviors in the Emergency Department: A Randomized Controlled Trial SE Thomas-Smith, EJ Klein, B Strelitz, J Jensen, E Parker, L Richardson, CA McCarty, T Shafii
Musculoskeletal
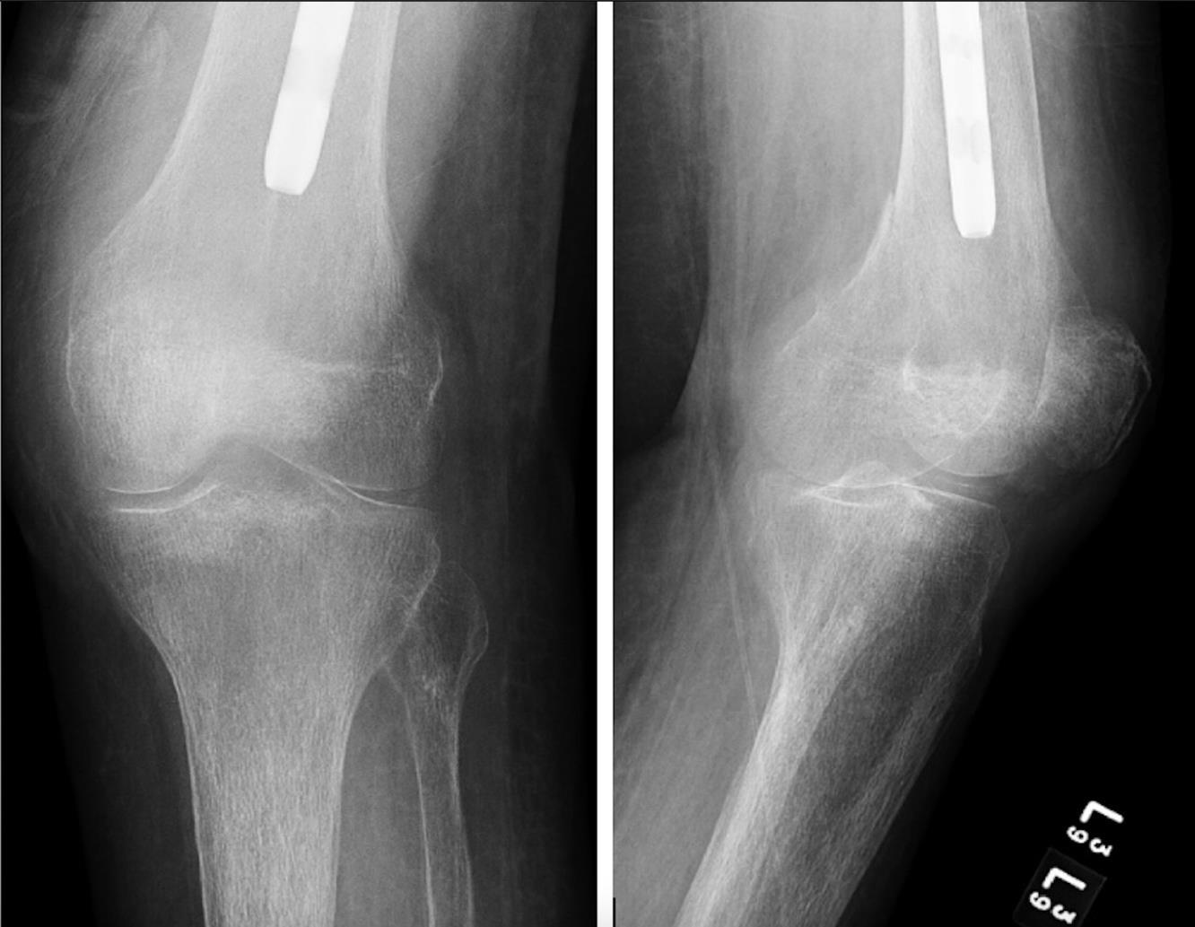
939 Are Oblique Views Necessary? A Review of the Clinical Value of Oblique Knee Radiographs in the Acute AT Bradley, JA Adler, DM Curtis, D Nwaudo, MJ Gayed, SJ Wallace, A Athiviraham
947 The Emergency Medicine Education and Research by Global Experts (EMERGE) Network: Challenges and Lessons Learned P Mahajan, S Chong, EMERGE Network
Behavioral Health
952 Implementation of a Leave-Behind Naloxone Program in San Francisco: A One-Year Experience KT LeSaint, JC Montoy, EC Silverman, MC Raven, SL Schow, PO Coffin, JF Brown, MP Mercer
Emergency Care with Population Health
Indexed in MEDLINE, PubMed, and Clarivate Web of Science, Science Citation Index Expanded
This open access publication would not be possible without the generous and continual financial support of our society sponsors, department and chapter subscribers.
American College of Osteopathic Emergency Physicians California American College of Emergency Physicians
Academic Department of Emergency Medicine Subscriber Albany Medical College Albany, NY
Allegheny Health Network Pittsburgh, PA
American University of Beirut Beirut, Lebanon
AMITA Health Resurrection Medical Center Chicago, IL
Arrowhead Regional Medical Center Colton, CA
Baylor College of Medicine Houston, TX
Baystate Medical Center Springfield, MA
Bellevue Hospital Center New York, NY
Beth Israel Deaconess Medical Center Boston, MA
Boston Medical Center Boston, MA
Brigham and Women’s Hospital Boston, MA
Brown University Providence, RI
Carl R. Darnall Army Medical Center Fort Hood, TX
Cleveland Clinic Cleveland, OH
Columbia University Vagelos New York, NY
Arizona Chapter Division of the American Academy of Emergency Medicine California Chapter Division of the American Academy of Emergency Medicine Florida Chapter Division of the American Academy of Emergency Medicine
Conemaugh Memorial Medical Center Johnstown, PA
Crozer-Chester Medical Center Upland, PA
Desert Regional Medical Center Palm Springs, CA
Detroit Medical Center/ Wayne State University Detroit, MI
Eastern Virginia Medical School Norfolk, VA
Einstein Healthcare Network Philadelphia, PA
Eisenhower Medical Center Rancho Mirage, CA
Emory University Atlanta, GA
Franciscan Health Carmel, IN
Geisinger Medical Center Danville, PA
Grand State Medical Center Allendale, MI
Healthpartners Institute/ Regions Hospital Minneapolis, MN
Hennepin County Medical Center Minneapolis, MN
Henry Ford Medical Center Detroit, MI
Henry Ford Wyandotte Hospital Wyandotte, MI
INTEGRIS Health Oklahoma City, OK
California Chapter Division of American Academy of Emergency Medicine
Mayo Clinic Jacksonville, FL
Kaiser Permenante Medical Center San Diego, CA
Kaweah Delta Health Care District Visalia, CA
Kennedy University Hospitals Turnersville, NJ
Kent Hospital Warwick, RI
Kern Medical Bakersfield, CA
Lakeland HealthCare St. Joseph, MI
Lehigh Valley Hospital and Health Network Allentown, PA
Loma Linda University Medical Center Loma Linda, CA
Louisiana State University Health Sciences Center New Orleans, LA
Louisiana State University Shreveport Shereveport, LA
Madigan Army Medical Center Tacoma, WA
Maimonides Medical Center Brooklyn, NY
Maine Medical Center Portland, ME
Massachusetts General Hospital/Brigham and Women’s Hospital/ Harvard Medical Boston, MA
Great Lakes Chapter Division of the American Academy of Emergency Medicine
Tennessee Chapter Division of the American Academy of Emergency Medicine
Mayo Clinic College of Medicine Rochester, MN
Mercy Health - Hackley Campus Muskegon, MI
Merit Health Wesley Hattiesburg, MS
Midwestern University Glendale, AZ
Mount Sinai School of Medicine New York, NY
New York University Langone Health New York, NY
North Shore University Hospital Manhasset, NY
Northwestern Medical Group Chicago, IL
NYC Health and Hospitals/ Jacobi New York, NY
Ohio State University Medical Center Columbus, OH
Ohio Valley Medical Center Wheeling, WV
Oregon Health and Science University Portland, OR
Penn State Milton S. Hershey Medical Center Hershey, PA
Uniformed Services Chapter Division of the American Academy of Emergency Medicine Virginia Chapter Division of the American Academy of Emergency Medicine
Emergency Medicine Association of Turkey Lebanese Academy of Emergency Medicine Mediterranean Academy of Emergency Medicine
Norwegian Society for Emergency Medicine Sociedad Argentina de Emergencias
Sociedad Chileno Medicina Urgencia Thai Association for Emergency Medicine
To become a WestJEM departmental sponsor, waive article processing fee, receive electronic copies for all faculty and residents, and free CME and faculty/fellow position advertisement space, please go to http://westjem.com/subscribe or contact:
Stephanie Burmeister
WestJEM Staff Liaison
Phone: 1-800-884-2236 Email: sales@westjem.org
Emergency Care with Population Health
Indexed in MEDLINE, PubMed, and Clarivate Web of Science, Science Citation Index Expanded
This open access publication would not be possible without the generous and continual financial support of our society sponsors, department and chapter subscribers.
American College of Osteopathic Emergency Physicians California American College of Emergency Physicians
Academic Department of Emergency Medicine Subscriber Prisma Health/ University of South Carolina SOM Greenville Greenville, SC
Regions Hospital Emergency Medicine Residency Program St. Paul, MN
Rhode Island Hospital Providence, RI
Robert Wood Johnson University Hospital New Brunswick, NJ
Rush University Medical Center Chicago, IL
St. Luke’s University Health Network Bethlehem, PA
Spectrum Health Lakeland St. Joseph, MI Stanford Stanford, CA
SUNY Upstate Medical University Syracuse, NY
Temple University Philadelphia, PA
Texas Tech University Health Sciences Center El Paso, TX
The MetroHealth System/ Case Western Reserve University Cleveland, OH
UMass Chan Medical School Worcester, MA
University at Buffalo Program Buffalo, NY
Arizona Chapter Division of the American Academy of Emergency Medicine California Chapter Division of the American Academy of Emergency Medicine Florida Chapter Division of the American Academy of Emergency Medicine
University of Alabama Medical Center Northport, AL
University of Alabama, Birmingham Birmingham, AL
University of Arizona College of Medicine-Tucson Tucson, AZ
University of California, Davis Medical Center Sacramento, CA
University of California, Irvine Orange, CA
University of California, Los Angeles Los Angeles, CA
University of California, San Diego La Jolla, CA
University of California, San Francisco San Francisco, CA
UCSF Fresno Center Fresno, CA
University of Chicago Chicago, IL
University of Cincinnati Medical Center/ College of Medicine Cincinnati, OH
University of Colorado Denver Denver, CO
University of Florida Gainesville, FL
University of Florida, Jacksonville Jacksonville, FL
California Chapter Division of American Academy of Emergency Medicine
University of Illinois at Chicago Chicago, IL
University of Iowa Iowa City, IA
University of Louisville Louisville, KY
University of Maryland Baltimore, MD
University of Massachusetts Amherst, MA
University of Michigan Ann Arbor, MI
University of Missouri, Columbia Columbia, MO
University of North Dakota School of Medicine and Health Sciences Grand Forks, ND
University of Nebraska Medical Center Omaha, NE
University of Nevada, Las Vegas Las Vegas, NV
University of Southern Alabama Mobile, AL
University of Southern California Los Angeles, CA
University of Tennessee, Memphis Memphis, TN
University of Texas, Houston Houston, TX
University of Washington Seattle, WA
University of WashingtonHarborview Medical Center Seattle, WA
University of Wisconsin Hospitals and Clinics Madison, WI
UT Southwestern Dallas, TX
Valleywise Health Medical Center Phoenix, AZ
Virginia Commonwealth University Medical Center Richmond, VA
Wake Forest University Winston-Salem, NC
Wake Technical Community College Raleigh, NC
Wayne State Detroit, MI
Wright State University Dayton, OH
Yale School of Medicine New Haven, CT
Emergency Medicine Association of Turkey Lebanese Academy of Emergency Medicine Mediterranean Academy of Emergency Medicine
Great Lakes Chapter Division of the American Academy of Emergency Medicine
Tennessee Chapter Division of the American Academy of Emergency Medicine
Norwegian Society for Emergency Medicine Sociedad Argentina de Emergencias
Uniformed Services Chapter Division of the American Academy of Emergency Medicine Virginia Chapter Division of the American Academy of Emergency Medicine
Sociedad Chileno Medicina Urgencia Thai Association for Emergency Medicine
To become a WestJEM departmental sponsor, waive article processing fee, receive electronic copies for all faculty and residents, and free CME and faculty/fellow position advertisement space, please go to http://westjem.com/subscribe or contact:
Stephanie Burmeister
WestJEM Staff Liaison
Phone: 1-800-884-2236 Email: sales@westjem.org
Eleanor Graber, MS, PA-C*
Shada Rouhani, MD, MPH*†
Hazar Khidir, MD‡
Michael De Luca, MD, MS§
Elizabeth Noyes, BS†
Carlos Hernandez, BS*
Joe Tulip, BS*
M. Adrian Hasdiana, MD, MSc, MMSc*†
Guruprasad Jambaulikar, MBBS, MPH*
Regan Marsh, MD, MPH*†
Michael Wilson, MD, PhD*†
Section Editor: Mandy J. Hill, DrPH, MPH
* † ‡ §
Brigham and Women’s Hospital, Department of Emergency Medicine, Boston, Massachusetts
Harvard Medical School, Department of Emergency Medicine, Boston, Massachusetts
Yale National Clinician Scholars Program, New Haven, Connecticut George Washington University School of Medicine, Department of Emergency Medicine, Washington, DC
Submission history: Submitted October 31, 2021; Revision received April 7, 2022; Accepted August 22, 2022
Electronically published October 18, 2022
Full text available through open access at http://escholarship.org/uc/uciem_westjem
DOI: 10.5811/westjem.2022.8.55253.
Introduction: The decision to discharge a patient from the hospital with confirmed or suspected coronavirus 2019 (COVID-19) is fraught with challenges. Patients who are discharged home must be both medically stable and able to safely isolate to prevent disease spread. Socioeconomically disadvantaged patient populations in particular may lack resources to safely quarantine and are at high risk for COVID-19 morbidity.
Methods: We developed a telehealth follow-up program for emergency department (ED) patients who received testing for COVID-19 from April 24–June 29, 2020 and were discharged home. Patients who were discharged with a pending COVID-19 test received follow-up calls on Days 1, 4, and 8. The objective of our program was to screen and provide referrals for health-related social needs (HRSN), conduct clinical screening for worsening symptoms, and deliver risk-reduction strategies for vulnerable individuals. We conducted retrospective chart reviews on all patients in this cohort to collect demographic information, testing results, and outcomes of clinical symptom and HRSN screening. Our primary outcome measurement was the need for clinical reassessment and referral for an unmet HRSN.
Results: From April 24–June 29, 2020, we made calls to 1,468 patients tested for COVID-19 and discharged home. On Day 4, we reached 67.0% of the 1,468 patients called. Of these, 15.9% were referred to a physician’s assistant (PA) out of concern for clinical worsening and 12.4% were referred to an emergency department (ED) patient navigator for HRSNs. On Day 8, we reached 81.8% of the 122 patients called. Of these, 19.7% were referred to a PA for clinical reassessment and 14.0% were referred to an ED patient navigator for HRSNs. Our intervention reached 1,069 patients, of whom 12.6% required referral for HRSNs and 1.3% (n = 14) were referred to the ED or Respiratory Illness Clinic due to concern for worsening clinical symptoms.
Conclusion: In this patient population, the demand for interventions to address social needs was as high as the need for clinical reassessment. Similar ED-based programs should be considered to help support patients’ interdependent social and health needs beyond those related to COVID-19. [West J Emerg Med. 2022;23(6)794–801.]
The decision to discharge a patient from the hospital with confirmed or suspected coronavirus 2019 (COVID-19) is fraught with challenges. Patients who are well enough to merit discharge from the emergency department (ED) are still at risk of poor health outcomes from COVID-19 later in their clinical course.1 Particularly early in the pandemic, discharged patients had less access to traditional, outpatient follow-up systems given the closure or significantly reduced hours of some primary care clinics. Additionally, patients with suspected and confirmed COVID-19 who are well enough to be discharged home can infect at-risk family members, who face six times higher odds of infection with COVID-19 compared to nonhousehold contacts of COVID-19.2,3,4
Vulnerable, historically marginalized patient populations face greater risk of experiencing subsequent clinical deterioration as well as challenges in self-isolation and social distancing.5,6,7 These challenges, all components of a patient’s health-related social needs (HRSN), can include cohabitation with multiple family members or friends, unstable housing, food insecurity, poor access to private transportation, limited social networks, lack of child or eldercare, and reliance on income from low-wage and low-benefit essential jobs.8, 9
As a part of the health system safety net, EDs see a higher proportion of patients with unmet HRSNs relative to other care settings.10,11,12 Although national and international public health agencies recommend that clinicians ensure that COVID-19 patients’ living conditions support selfisolation and that patients have access to critical resources (eg, food) when making the decision to discharge patients home, the acute care setting presents unique challenges to comprehensively assessing patients’ self-isolation needs.13 Emergency clinicians have limited time to conduct comprehensive social needs screening and to provide upto-date information to patients on available community resources. Many EDs do not have existing mechanisms for conducting HRSN screening and referral. Further, needs may not be apparent at the time of the ED visit, as it can be difficult for patients to anticipate what resources will be required during an isolation period.14
Here we describe and evaluate a telehealth follow-up program early in the pandemic to iteratively evaluate the clinical status and HRSNs of patients who were discharged from the ED after undergoing COVID-19 testing. The goals of the program were to 1) identify patients with worsening clinical symptoms who required repeat clinical evaluation, and 2) facilitate safe self-isolation by assisting patients in meeting their HRSNs, reinforcing self-isolation instructions, and providing risk-reduction strategies for at-risk individuals.
Our quality improvement (QI) program was based in two affiliated EDs: one within a large, urban, academic hospital
What do we already know about this issue?
Patient populations with health-related social needs (HRSN) may lack resources to safely isolate or quarantine and are at high risk for COVID-19 morbidity.
What was the research question? Can phone screening identify and refer discharged ED patients with worsening clinical symptoms or unmet HRSNs?
What was the major finding of the study?
Of 1,468 patients COVID + discharged patients, 17% were referred to a physician’s assistant (PA) for clinical worsening, 13% were referred to a patient navigator, and 1.3% were referred to the ED or Respiratory Clinic for clinical worsening. The demand for interventions to address social needs was as high as the need for clinical reassessment.
How does this improve population health?
Screening programs based in the ED could help support patients’ interdependent social and health needs, for both COVID-19 and beyond.
and the other within a neighboring community hospital. Our target population was patients who underwent reversetranscription polymerase chain reaction (RT-PCR) testing in the ED setting for severe acute respiratory syndrome coronavirus 2 (SARS-CoV-2) and were discharged home from April 24–June 29, 2020. Of note, the intervention concluded in June 2020 as cases fell substantially during that period. At that time SARS-CoV-2 testing was available to symptomatic patients only. Asymptomatic patients were not tested in the ED unless they were admitted to the hospital. Result turnaround times during this period were 24-48 hours; thus, patients were typically discharged with their results pending. Due to concern about false negative rates, patients with symptoms of SARSCoV-2 were instructed to self-isolate regardless of test results.
The QI program objectives were as follows: (1) identify confirmed or suspected COVID-19 patients with worsening clinical symptoms who required further evaluation, either virtually or in person; 2) identify confirmed or suspected COVID-19 patients with unmet HRSNs that might affect their ability to isolate or quarantine and refer them to community programs and social services; and 3) deliver and reinforce self-isolation counseling and risk-reduction strategies to patients and their household contacts.
Patients were identified through a report generated by the
electronic health record (EHR) system of patients who were tested for SARS-CoV-2 with RT-PCR in the ED and were discharged home. Initially all patients who were tested were called regardless of test results. On June 10, as the pandemic evolved and confidence in the sensitivity of testing grew, the program began calling only patients with confirmed COVID-19.
Our protocol used a brief, scripted telephone call to screen for clinical symptom progression and unmet HRSNs that might compromise safe isolation. Telephone check-ins were conducted on Days 1 and 4 after the patient’s initial presentation to the ED and were conducted by ED staff, including physician assistants (PA) and research assistants (RA). Day 8 telephone check-ins were added several weeks into the program to supplement Day 1 and Day 4 calls and were conducted May 10–June 29, 2020.
On Day 1 telephone check-ins, ED PAs called suspected COVID-19 patients discharged from the ED to notify them of the results of their COVID-19 testing, screen for worsening clinical symptoms, screen for immediate HRSNs (Table 1) and, when positive, refer them to Medicaid Accountable Care Organization (ACO) ED patient navigators for a sameday social needs assessment. Prior to the pandemic, the ED
patient navigators, developed HRSN screening questions based on our collective experience. Although the questions were designed with a yes/no response structure in mind, PAs and RAs were trained to allow patients to respond as they saw fit and to record a “yes” if a need was indicated at any point during the response. Notably, all patients were offered the opportunity to speak to a patient navigator who was experienced and trained in conducting personalized HRSN screening and referral, as well as in providing resources.
Table 1. Screening questions for health-related social needs.
Do you have enough food, medications, and necessities for the next 7-14 days?
Do you have someone who can bring you food, medications, or household necessities if needed?
Will you be able to isolate safely in your own home for the next 10 days?
Would you like resources to help you with obtaining food, medications, household necessities, or housing?
patient navigators’ role was to connect Medicaid ACO patients with outpatient healthcare clinicians and to address HRSNs during and after ED treatment. The role of this program later expanded to assist all patients with HRSNs regardless of enrollment in the ACO. When the patient navigators received a referral from the ED staff, they reached patients by phone and screened for housing stability, food security, access to medications and safety, and then connected patients to resources as indicated.
As the objective of the intervention was to identify immediate HRSNs, screening questions on the initial call were focused on anticipated common barriers to home isolation, including access to food, medication, and housing. To our knowledge, at the time of the study no standardized questions for assessing COVID-19 isolation-specific HRSNs existed. For this reason, the study investigators, including the ED
On Days 4 and 8, telephone check-ins were conducted by a team of RAs in the ED. Given staffing changes and challenges associated with the pandemic, RAs were able to conduct follow-up screening and were supported by PA and physician back-up. Using standardized questionnaires in REDCap (a secure, web-based software platform designed to support data capture for research studies and hosted at Mass General Brigham), patients were re-screened for potential clinical worsening and for HRSNs (Table 1). Patients who reported worsening symptoms or any high-risk clinical symptom to the RA were called within one hour by a PA in the ED to determine whether the patient’s condition warranted either a return ED visit or an urgent appointment with their primary care physician or at the Respiratory Illness Clinic, which consisted of outpatient medical offices repurposed during the pandemic to serve as urgent care clinics for patients with respiratory symptoms. Lastly, we screened discharged patient who underwent COVID-19 testing for the presence of household contacts. Those patients who had household contacts received counseling that reflected US Centers for Disease Control and Prevention guidance on household strategies to reduce the risk of transmission to others in the home.
All Day 1 calls made by ED PAs were documented in the patient’s EHR during implementation of the intervention. For Day 4 and 8 calls, RAs documented the telephone encounters, which were compliant with the Health Insurance Portability and Accountability Act. REDCap provided the following for our study: 1) an intuitive interface for validated data capture; 2) audit trails for tracking data manipulation and export procedures; 3) automated export procedures for seamless data downloads to common statistical packages; and 4) procedures for data integration and interoperability with external sources.15, 16 For patients with concern for worsening clinical symptoms or identified HRSNs, ED PAs and patient navigators, respectively, documented in the patient’s EHR.
An algorithm was built into the REDCap questionnaire to allow just-in-time instructions for the RAs based on the responses they obtained from the patients. The talking points were embedded into the algorithm so that the RAs could have structured conversations with the patients, based on identified needs. Automatic flags were created in the tool to highlight patients who screened positive for potential clinical worsening and for unmet HRSNs. The preferred language of the patient was shown on the REDCap algorithm. and for non-English
speakers a prompt would appear to initiate a call with an interpreter prior to contacting the patient.
Retrospective chart review was conducted on all patients after the intervention period concluded. We collected demographic information from the EHR, including patient age, race, gender, primary language, and insurance status. The RT-PCR results for SARS-CoV-2 were recorded for all patients. For patients who screened positive for HRSNs, the type of social need was categorized and recorded into four predetermined domains: food insecurity; housing insecurity; utilities-related need; and medication-related need. Patient data was recorded using REDCap. We conducted analyses using SAS version 9.4 (SAS Institute Inc, Cary, NC).
Descriptive statistics summarized demographic information, SARS-CoV-2 RT-PCR test results, prevalence of HRSNs, and the prevalence of worsening clinical symptom. Given the exploratory nature of this study, comparative analyses were not performed.
This study was deemed exempt by the Mass General Brigham Institutional Review Board (Boston, MA).
The program was active at our institution from April 24–June 29, 2020. During this period, calls were made to 1,445 unique patients discharged from the ED with a pending COVID-19 test. Characteristics of our patient population are presented in Table 2. The average age of patients was 48.5 years. On Day 1, 1,468 calls to 1,445 unique patients were made (several patients had return visits and were called after each ED visit). Due to the evolving nature of the COVID-19 pandemic and the need to rapidly stand up the program the number of patients reached by the PAs on Day 1 was not recorded.
On Day 4, RAs reached 67.0% of patients called. Of these, 67.2% required no referral, 15.9% were referred to a PA out of concern for clinical worsening, 12.4% were referred to an ED patient navigator out of concern for HRSNs, and 4.5% of patients declined to participate. On Day 8, 81.8% of the 122 patients that were called were reached by the RAs. Of these, 62.8% required no referral, 19.7% were referred to a PA out of concern for clinical worsening, 14.0.% were referred to an ED patient navigator out of concern for HRSNs, and 2.3% declined to participate (Figure 1).
Of the patients who were reached and willing to participate on Day 4 and Day 8 calls, 16.4% (173 patients) screened positive for worsening clinical status and required a telehealth check-in with the ED PAs. Of all
Table 2. Demographics of patients discharged from the emergency department with pending COVID-19 test.
Number of individual patients N = 1,445 (%)
English
1,191 (81.0%) Spanish 191 (13.0%) Haitian Creole 13 (0.9%) Russian 8 (0.5%) Other 75 (5.1%) Gender
Female 848 (57.7%) Male 622 (42.3%) Race White 647 (44.8%) Black or African American 359 (24.8%) Other 332 (23.0%) N/A 59 (4.1%) Asian 42 (2.9%) American Indian or Alaska Native 6 (0.4%)
Ethnicity
Non-Latinx 1,002 (69.3%) Latinx 356 (24.6%)
N/A 87 (6.0%)
Insurance
Private 502 (34.2%) Medicaid 326 (22.2%) Medicare 314 (21.4%) Self-pay 11 (0.8%) N/A 314 (21.4%)
the patients referred to a PA for clinical reassessment, 31.8% had tested positive for COVID-1 9 (Table 3) . Of the patients who tested positive, 27.3% were White, 23.6% were Black or African American, 7.3% were Asian, and 41.8% were characterized as other race; 49% were Latinx, 45.5% were non-Latinx, and 5.5% of patients’ ethnicity was not available. Patients identifying as Black, other, or Latinx, were referred to ED patient navigators at disproportionately higher frequency compared to those who identified as White or Asian.
Of the patients subsequently reached by a PA for reassessment, only 14 (0.95% of total population) were referred back to the ED or to the Respiratory Illness Clinic. Of note, the total number of patients reached by the PAs on Day 1 or on Day 4 and 8 follow-up calls was not recorded; thus, we were unable to assess percentage of patients reached (Figure 1).
Figure 1. Outcome of day 4 and day 8 patient calls: April 24–June 29, 2020. Note: On Day 4, 1,468 calls to 1,445 unique patients were made (several patients had return visits and were called after each ED visit). Day 8 calls were started on May 10, 2020, and call attempts were made to 122 of the initial 1,445 patients. PA, physician assistant; ED, emergency department.
Table 3. Referrals and COVID-19 status by race and ethnicity. ED, emergency department; PA, physician assistant; COVID-19, coronavirus disease 2019.
Total Patients Referred to PA (n = 173) (%) All Patients Called (n = 1,445) Race
Total Patients Referred to ED Patient Navigator (n =135) (%)
Asian 2 (1.5%) 10 (5.8%) 42 (2.9%) Black 42 (31.1%) 39 (22.5%) 359 (24.8%) White 23 (17.0%) 68 (39.3%) 647 (44.8%) American Indian or Alaska Native 0 (0%) 0 (0%) 6 (0.4%) Other 68 (50.4%) 56 (32.4%) 332 (23.0%) Ethnicity
Latinx 65 (48.15%) 59 (34.1%) 356 (24.6%) Non-Latinx 65 (48.15%) 108 (62.4%) 1,002 (69.3%) N/A 5 (3.7%) 6 (3.5%) 87 (6.0%)
Positive 36 (26.7%) 55 (31.8%) 215 (15%) Negative 99 (73.3%) 118 (68.2%) 1253 (85%)
We found that 12.6% (n = 135) of patients reached on Day 4 or Day 8 calls screened positive for HRSNs and were referred by the RA to an ED patient navigator. Of these 135 patients, 26.7% had tested positive for COVID-19, 56.3%
were subsequently reached by a patient navigator, and 33.3% could not be reached. In 10.0% of patients, outreach was deferred because they were already being followed closely by their outpatient team for HRSNs (Table 4). Of the 76 patients reached by an ED patient navigator, 89.5% were identified
Table 4. Outcome of telephone calls made by patient navigators in the emergency department.
Number of patients (N = 135) (%)
Patients reached by ED patient navigator 76 (56.3%)
Patients unable to be reached 45 (33.3%)
Patients with HRSN already being addressed per chart review (call deferred) 14 (10.0%)
HRSN, health-related social needs.
as having HRSNs, 31.1% were Black or African American, 17.0% were White, and 50.4% were characterized as other race. Of patients referred to a patient navigator for HRSNs, 48.1% were Latinx and 48.1% were non-Latinx (Table 3).
Among the 76 patients who were reached by an ED patient navigator, 110 referrals were placed to address HRSNs. Among these patients, 46.1% required referral from one HRSN domain, 35.5% required referrals from two HRSN domains, 3.9% required referrals from three HRSN domains, and 3.9% required referral from four HRSNs domains; 10.5% did not require referral. Of the HRSNs that were addressed by the patient navigators, the majority were related to food and housing insecurity, as well as difficulty obtaining medications (Table 5). Of the total referrals to address these needs, 68.6% were
Figure 2. Categorization of social support referrals.
Table 5. Type of health-related social needs addressed by patient navigators in the emergency department.
Number of times HRSN was addressed (N = 110) (%)
Food 51 (46.6%) Housing 17 (15.4%)
Medication Delivery 14 (12.7%)
Paying for Medications 8 (7.2%)
Legal Assistance 5 (4.5%)
Paying Utility Bills 3 (2.7%)
Job Search or Training 2 (1.8%)
Care for Elder or Disabled 1 (0.9%)
Violence Prevention 1 (0.9%)
Childcare 0 (0.0%)
Transportation 0 (0.0%)
Other 8 (7.2%)
ED, emergency department; HRSN, health-related social needs.
for food resources, 13.6% for housing resources, 13.6% for medication-related resources, and 3.6% for utilities resources (Figure 2); 72.3% of these referrals were to non-government programs, and 27.7% were to government programs.
The purpose of this QI project was to screen and provide referral for HRSNs and conduct clinical screening for worsening symptoms. We found that nearly as many patients required referral for unmet social needs as for clinical reassessment. Despite the high number of referrals placed by RAs, the PAs did not identify many patients who required emergent, in-person evaluation. Most clinical needs were resolved through discussion over the phone. Based on feedback received from PAs, the difference in the number of patients referred for PA telephone screening and the number referred for in-person care likely reflects several factors, including patient uncertainty surrounding the diagnosis of COVID-19 at the start of the pandemic, lack of clarity about discharge/isolation instructions, and a high number of inquiries regarding non-COVID-19 related medical concerns. (The RAs were instructed to refer anyone with a medical concern to a PA to avoid mistriage.) Although few patients ultimately required in-person re-evaluation, we did informally observe that these PA follow-up calls helped to clarify discharge instructions and recognize challenges with adherence, which may have reduced re-presentation to the ED.
Notably, a high percentage of patients required referral for HRSNs that influenced their ability to safely isolate and quarantine. This mirrors statewide data for Massachusetts, where 17% of cases and contacts in the community tracing collaborative contact-tracing system were referred to social support to help them isolate.14 In other communities nationwide, the percentage of patients requiring support to safely isolate and quarantine has been reported to be as high as 72%.17 While identifying and addressing patient social support needs during contact tracing is an important component of a public health response, the earlier that social needs can be identified and addressed to allow safe isolation, the greater the impact will be.18,19 This program screened for social needs on Day 1 after discharge, but programs to incorporate similar
screening at the time of the ED visit should be considered. Although not quantifiable, program staff also engaged in risk reduction conversations and answered questions regarding self-isolation and quarantine, which likely further enhanced patients’ ability to safely isolate.
Our data shows that a greater proportion of patients who identified as Black or “other” race, as well as those identifying as Latinx ethnicity, were referred to ED patient navigators. Similarly, a disproportionately higher number of Latinx patients were referred to the ED PAs. This likely reflects underlying structural inequities, including wealth and housing, access to primary care, as well as the disproportionate impact of the COVID-19 illness burden on minoritized patient populations. Our findings are consistent with prior studies that have demonstrated high unmet HRSNs within these patient populations. 20
The greatest HRSN identified by our ED patient navigators was food insecurity, which has been associated with more frequent ED visits and worse health outcomes. 21 Since our questions focused on immediate needs for the duration of the quarantine and isolation period, the true burden of food insecurity is likely even higher than our results. Future programs should evaluate ways to identify and reduce food insecurity for ED patients. Importantly, screening programs need to engage individuals who can help patients navigate available resources, such as the ED patient navigators in our program. Further expansion of these programs, including beyond Medicaid ACOs, should be considered. In addition, the success of ED patient navigators can be facilitated through developed resource lists outlining existing community programs, eligibility requirements, and instructions on how to access resources. In our program, these lists were developed by our ED patient navigators, but they could also be produced at an institutional or municipal level.
Several limitations must be considered when interpreting the results. First, this was designed as a QI project during the first peak of the COVID-19 pandemic, rather than as a research study; therefore, there may have been non-controlled confounders. Due to an absence of validated, short HRSN screenings focused on COVID-19 isolation needs at the time of the project, we designed HRSN questions based on detailed knowledge of social determinants of health and immediate needs associated with safe COVID-19 isolation, which had not been validated. While our overall rates of missing data were low, there were gaps in data collection that reflected the retrospective nature of the study.
Demographic information was taken from the EHR system, which can sometimes be inaccurate. For example, patients may mistakenly report their ethnicity under race; hence, a large percentage of patients’ race was characterized as “other.” We do not have information on patients whom we were unable to reach or those who declined to participate; it is possible these patients could have been
more or less likely to require referral. This is particularly relevant in the case of patients who were unable to be reached, as those without stable access to a phone would have been less likely to be reached but may have had greater social needs. As previously noted, due to the rapidly evolving pandemic and need to quickly stand up the program, the number of patients reached by PAs on Day 1 was not recorded; thus, we were unable to evaluate the referral outcomes for these calls, as was done with the calls done by RAs.
Finally, this project was run early in the COVID-19 pandemic, when guidance on testing, isolation, and quarantine was rapidly evolving. As a result, protocol variations were necessary throughout the program’s existence, such as the shift to calling only positive patients on June 10. Similarly, testing criteria and isolation/quarantine guidelines were also changing, and these variations may have affected the consistency and effectiveness of our intervention.
In this patient population, the demand for interventions to address social needs was as high as the need for clinical reassessment. By leveraging existing systems, we were able to use patient navigators in the ED to perform healthrelated social needs assessments and address urgent needs. Development of an ED-based telehealth program to monitor symptom progression and unmet HRSNs is feasible; similar ED-based programs should be considered to help support patients’ interdependent social and health needs, beyond those related to COVID-19.
Address for Correspondence: Shada A. Rouhani, MD, MPH, Department of Emergency Medicine, 75 Francis Street, Boston, MA 02115. Email: srouhani@bwh.harvard.edu.
Conflicts of Interest: By the WestJEM article submission agreement, all authors are required to disclose all affiliations, funding sources and financial or management relationships that could be perceived as potential sources of bias. No author has professional or financial relationships with any companies that are relevant to this study. There are no conflicts of interest or sources of funding to declare.
Copyright: © 2022 Graber et al. This is an open access article distributed in accordance with the terms of the Creative Commons Attribution (CC BY 4.0) License. See: http://creativecommons.org/ licenses/by/4.0/
1. Somani SS, Richter F, Fuster V, et al. Characterization of patients who return to hospital following discharge from hospitalization for COVID-19. J Gen Intern Med. 2020;35(10):2838-44.
2. Li Q, Guan X, Wu P, et al. Early transmission dynamics in Wuhan, China, of novel coronavirus-infected pneumonia. N Engl J Med
et al. Reducing COVID-19 Health Inequities Through Identification of HSRN in Patients Discharged from the ED 2020;382(13):1199-207.
3. Qian G, Yang N, Ma AHY, et al. COVID-19 transmission within a family cluster by presymptomatic carriers in China. Clin Infect Dis 2020;71(15):861-2.
4. Bi Q, Wu Y, Mei S, et al. Epidemiology and transmission of COVID-19 in 391 cases and 1286 of their close contacts in Shenzhen, China: a retrospective cohort study. Lancet Infect Dis. 2020;20(8):911-9.
5. Abedi V, Olulana O, Avula V, et al. Racial, economic, and health inequality and COVID-19 infection in the United States. J Racial Ethn Health Disparities. 2021;8(3):732-42.
6. Selden TM, Berdahl TA. COVID-19 and racial/ethnic disparities in health risk, employment, and household composition. Health Aff (Millwood). 2020;39(9):1624-32.
7. Huang X, Li Z, Jiang Y, et al. The characteristics of multi-source mobility datasets and how they reveal the luxury nature of social distancing in the U.S. during the COVID-19 pandemic. Int Journal Digit Earth. 2021;14(4):424-42
8. Blumenshine P, Reingold A, Egerter S, et al. Pandemic influenza planning in the United States from a health disparities perspective. Emerg Infect Dis. 2008;14(5):709–15.
9. Quinn SC, Kumar S. Health inequalities and infectious disease epidemics: a challenge for global health security. Biosecur Bioterror. 2014;12(5):263–73.
10. Mosen DM, Banegas MP, Benuzillo JG, et al. Association between social and economic needs with future healthcare utilization. Am J Prev Med. 2020;58(3):457-60.
11. Malecha PW, Williams JH, Kunzler NM, et al. Material needs of emergency department patients: a systematic review. Acad Emerg Med. 2018;25(3):330-59.
12. Gerber E, Gelberg L, Rotrosen J, et al. Health-related material needs and substance use among emergency department patients. Subst Abus. 2020;41(2):196-202.
13. World Health Organization. Home care for patients with suspected novel coronavirus (nCoV) infection presenting with mild symptoms
and management of contacts. 2020. Available at: https://www.who. int/publications-detail/home-care-for-patients-with-suspected-novelcoronavirus-(ncov)-infection-presenting-with-mild-symptoms-andmanagement-of-contacts. Accessed August 31, 2022.
14. Rouhani S, Mehta N, Lesser G, et al. Care resource coordination: an essential pillar of an effective and equitable pandemic response. 2020. Available at: https://www.pih.org/sites/default/files/lc/ CRCWhitePaper_Nov_2020_06.pdf. Accessed August 31, 2022.
15. Harris PA, Taylor R, Thielke R, et al. Research electronic data capture (REDCap)--a metadata-driven methodology and workflow process for providing translational research informatics support. J Biomed Inform. 2009;42(2):377-81.
16. Harris PA, Taylor R, Minor BL, et al. The REDCap consortium: building an international community of software platform partners. J Biomed Inform. 2019;95:103208.
17. Kerkhoff AD, Sachdev D, Mizany S, et al. Evaluation of a novel community-based COVID-19 ‘test-to-care’ model for low-income populations. PLoS One. 2020;15(10):e0239400.
18. Ruebush E, Fraser MR, Poulin A, et al. COVID-19 case investigation and contact tracing: early lessons learned and future opportunities. J Public Health Manag Pract. 2021;27 Suppl 1, COVID-19 and Public Health: Looking Back, Moving Forward:S87-S97.
19. Rouhani S, Logan J, Glenn A. et al. The Massachusetts CTC Care Resource Coordination Program: social support as a pillar of COVID-19 response. 2021. Available at: https://www.pih.org/sites/ default/files/lc/LT-CRC_case_study_MA_April_2021_Final.pdf. Accessed August 31, 2022.
20. Schickedanz A, Sharp A, Hu YR, et al. Impact of social needs navigation on utilization among high utilizers in a large integrated health system: a quasi-experimental study. J Gen Intern Med 2019;34(11):2382-9.
21. Berkowitz SA, Seligman HK, Meigs JB. Food insecurity, healthcare utilization, and high cost: a longitudinal cohort study. Am J Manag Care. 2018;24(9):399-404.
Kadia Wormley, MD*
Drusia Dickson, MD*
Harrison Alter, MD*†
Ndidi Njoku, BA‡
Partow Imani, MS§
Erik S. Anderson, MD*¶
Section Editor: Jacob Manteuffel, MD
* † ‡ § ¶
Department of Emergency Medicine, Alameda Health System, Oakland, California Andrew Levitt Center for Social Emergency Medicine, Berkeley, California Howard University College of Medicine, Washington, DC University of California Berkeley, School of Public Health, Berkeley, California Substance Use Disorder Treatment Program, Alameda Health System, Oakland, California
Submission history: Submitted December 15, 2021; Revision received July 19, 2022; Accepted August 8, 2022
Electronically published October 28, 2022 Full text available through open access at http://escholarship.org/uc/uciem_westjem DOI: 10.5811/westjem.2022.8.55705.
Introduction: People experiencing homelessness have high rates of social needs when presenting for emergency department (ED) services, but less is known about patients with housing instability who do not meet the established definitions of homelessness.
Methods: We surveyed patients in an urban, safety-net ED from June–August 2018. Patients completed two social needs screening tools and responded to additional questions on housing. Housing status was determined using validated questions about housing stability.
Results: Of the 1,263 eligible patients, 758 (60.0%) completed the survey. Among respondents, 40% identified as Latinx, 39% Black, 15% White, 5% Asian, and 8% other race/ethnicities. The median age was 42 years (interquartile range [IQR]: 29-57). and 54% were male. Of the 758 patients who completed the survey, 281 (37.1%) were housed, 213 (28.1%) were unstably housed, and 264 (34.8%) were homeless. A disproportionate number of patients experiencing homelessness were male (63.3%) and Black (54.2%), P <0.001, and a disproportionate number of unstably housed patients were Latinx (56.8%) or were primarily Spanish speaking (49.3%), P <0.001. Social needs increased across the spectrum of housing from housed to unstably housed and homeless, even when controlling for demographic characteristics.
Conclusion: Over one in three ED patients experience homelessness, and nearly one in three are unstably housed. Notable disparities exist by housing status, and there is a clear increase of social needs across the housing spectrum. Emergency departments should consider integrating social screening tools for patients with unstable housing. [West J Emerg Med. 2022;23(6)802–810.]
Homelessness is a well-established factor associated with poor health outcomes. People experiencing homelessness (PEH) have higher mortality and morbidity than the general population,1–8 as well as higher incidences of substance use disorders and mental illness.9–15 The majority of adults experiencing homelessness lack a regular source of healthcare.1,6 They face numerous barriers to accessing care including lack of insurance, financial limitations, lack of transportation, difficulty
making appointments, stigma, and competing immediate needs such as food and shelter.16 Additionally, there are significant racial and ethnic disparities, with communities of color disproportionately impacted by homelessness.17
For all these reasons, the emergency department (ED) is a major purveyor of healthcare for PEH.18 This touch point within the healthcare system is recognized as an important opportunity to address housing instability and social needs, as evidenced by the passage of California State Senate bill 112, which requires
hospitals to identify PEH and offer specific resources prior to discharge including food, shelter, and transportation.19 As there is no funding attached to the bill, California EDs have attempted to address the requirements of SB 1152 variably and have largely modified documentation of existing resources for PEH. There is, however, a large body of literature that documents the complex social needs of PEH and ED-based interventions developed to improve outcomes in this population.20
The spectrum of housing also includes housing instability, which does not have a standard definition in the healthcare literature.21 It is variably referred to as housing instability, housing insecurity, unstable housing, marginal housing, housing vulnerability and is sometimes grouped together with homelessness as the umbrella term “homeless and unstably housed.” These terms refer to a range of experiences contributing to a precarious living situation, including difficulty paying rent or mortgage; spending the majority of monthly income on rent; living in crowded spaces; living with others for free; being evicted; or moving frequently.22
Perhaps because of its lack of clear definition, housing instability and its effect on health has been less well studied than homelessness. Both populations have increased rates of unmet basic healthcare needs,3 violence,23 human immunodeficiency virus and hepatitis C virus,24 and overall mortality.25,26 Prior studies have also shown associations between housing instability and anxiety and depression,27 increased substance abuse and psychiatric symptoms,28 poorer access to healthcare,29 and high rates of acute care use.30 Unstably housed persons have increased social needs compared to stably housed persons of similar income, suggesting that housing insecurity is a graded risk factor, with patients experiencing worse health outcomes as housing instability increases.29
It is likely that unstable housing and homelessness are underrecognized, despite their high prevalence among ED patients.18 People experiencing housing instability are at high risk of becoming homeless,31 yet little is known about this population in the ED.
Our goal in this study was to compare the demographics and social needs of patients presenting to an urban ED stratified by housing status.
We conducted a cross-sectional study of patients from an urban, safety-net ED and Level I trauma center in Oakland, California, with 68,000 annual visits. All patients ≥18 years who spoke English or Spanish and presented to the ED during study hours were considered eligible. We excluded minors because our ED sees only a small number of pediatric patients. Patients were also excluded if they were medically unstable, unresponsive, had altered mental status precluding
What do we already know about this issue? Despite the detrimental effect of housing insecurity on health outcomes, the prevalence of homelessness and housing insecurity is likely underrecognized in EDs.
What was the research question? What are the demographics and social needs of patients presenting to an urban ED stratified by housing status?
What was the major finding of the study? Over 1/3 of patients experience homelessness, nearly 1/3 are unstably housed, and social needs rose across this housing spectrum.
How does this improve population health? We highlight the burden of housing insecurity and associated social needs among urban ED patients. Our findings suggest opportunities for ED-based interventions.
participation, or had already participated in the study. The study was approved by the institutional review board at Alameda Health System.
Development Survey administration, development, and validation is described in a prior manuscript.32 The survey instrument used questions from two social needs screening tools: the Protocol for Responding to and Assessing Patient Assets, Risks, and Experiences (PRAPARE), developed by the National Association of Community Health Centers,33 and the Accountable Health Communities (AHC) Health-Related Social Needs Screening Tool, developed by the Centers for Medicare and Medicaid Services.34 The full survey instrument is available in Appendix A.
We divided respondents into three housing categories: homeless, unstably housed, and stably housed. The questions defining each category were selected from the two surveys mentioned above with additional questions developed by an expert committee to better understand our population’s housing status. In accordance with standard definitions of homelessness, patients were considered to be experiencing homelessness if they responded “Yes” to any of the following statements: “I do not have housing;” “I do not have a steady place to live;” “I am currently homeless;” or “Last night I
stayed at a shelter, housing for homeless persons, a location not meant for human habitation, or a friend/family member’s room/apartment.”
Patients were considered unstably housed if they answered “Yes” to any of the following statements: “I am worried about my housing”; “I have a place to stay, but I am worried about losing it”; “I have moved three or more times in the last 12 months”; “I had to move in with other people in the last 12 months because of housing problems”; or “I am unable to stay in current place for more than 90 days.” If patients answered “No” to all statements, they were considered to be stably housed.
Patients were recruited in four-hour blocks of time covering all times of day, for a total of two full weeks (14 days, 24 hours/day) between June–August 2018. Trained research assistants (RA) approached patients during their ED visit and obtained verbal consent using a standardized script. The RAs systematically approached patients in order of arrival time and, when possible, returned to patients who were unavailable at the time of the initial approach. During study blocks, RAs were not able to approach every eligible patient who was registered due to time constraints. Eligible patients who were not approached were included in an analysis of non-respondents.
Using a password-protected tablet, survey responses from participants were input directly into REDCap, a secure electronic data capture system35,36 hosted at Alameda Health System. The RAs read the questions aloud or participants completed the survey directly on the tablet; RAs were bilingual Spanish and English speakers. We excluded non-English or Spanish speakers as the hospital interpreters were not available for research purposes. Trained abstractors documented arrival and discharge times, disposition, medical history, prior ED utilization, and past admissions from the electronic health record (EHR) (Wellsoft Corporation, Somerset, NJ) during a standardized chart review.
The primary outcomes were the proportion of homeless, unstably housed, and stably housed patients in our cohort. Secondary outcomes included demographics and social needs among patients in each housing category. We also used regression analysis to control for demographic characteristics to explore the graded risk of social needs along the housing spectrum.
For each housing category, we calculated standard descriptive statistics. We reported continuous variables as medians and means and reported categorical variables as proportions or percentages. We made comparisons by using chi-square, ANOVA, and Mann-Whitney tests between outcome variables. We considered P <.05 to be significant for
comparisons between data points.
For all individuals without any missing values (n = 714), we used a separate logistic regression for each social factor, where the social factor was regressed on housing status as well as adjusting for the following covariates: age; gender; race/ethnicity; education; primary language; English proficiency; veteran status; insurance; disability; and past medical history. The outcomes were assumed to be conditionally linear in their relationship to housing status with the link function. The estimated coefficient was associated with housing status for all 17 regressions. In addition, a permutation test was performed where over 500 iterations, the housing status variable was randomly shuffled, thereby breaking any association between housing status and the various outcomes of interest. The regressions were again used in each of the 500 iterations, and we compared the observed statistics from the un-permuted data to the null distribution created by the random permutations.
We performed a propensity score analysis using the EHR to determine whether the survey respondents were substantively different from patients who were potentially eligible but did participate in the survey. We included patients who were approached but declined to participate, as well as potentially eligible patients who were not approached. If patients were ineligible once approached (did not speak English or Spanish, had altered mental status, or were critically ill), they were not included in the analysis of non-respondents Respondents were randomly selected and paired 1:1 with nonrespondents matched by hour of arrival. The propensity score analysis included the following covariates: age; gender; acuity; language; race; insurance type; disposition; past medical history; whether the patient was on a psychiatric hold or in legal custody; homelessness documented in the chart; and ED and hospital admissions in the 12 months prior to study visit. We performed analyses using R Core Team (2017) (R Foundation for Statistical Computing, Vienna, Austria) and Stata version 15.1 (StataCorp LLC, College Station, TX). Incomplete surveys were not included in the analyses.
During the study period, there were 2,573 ED visits from 2,357 unique patients. Of these, 1,522 patients were approached and screened for survey administration, and 1,263 were deemed eligible. Of the 1,263 eligible patients, 758 (60.0%) completed the survey, 478 declined, and 27 started but did not complete the survey. Among respondents, 40% identified as Latinx, 39% Black, 15% White, 5% Asian, and 8% other race/ethnicities. The median age was 42 years (interquartile range [IQR]: 29-57) and 54% were male.
Of the 758 patients who completed the survey, 281 (37.1%) were housed, 213 (28.1%) were unstably housed, and 264 (34.8%) were homeless. There were significant differences across all demographic variables analyzed by housing status (Table 1) other than veteran status. Notable
Table 1. Baseline characteristics of all respondents by housing status.
Sociodemographic characteristics
Overall N = 758 Housed N = 281 (37.1%) Unstably housed N = 213 (28.1%) Homeless N = 264 (34.8%) P value
Age group P <0.001
18 - 24 years 100 13.2% 44 15.7% 20 9.4% 36 13.6% 25 - 54 years 439 57.9% 139 49.5% 145 68.1% 155 58.7% 55 - 64 years 138 18.2% 55 19.6% 32 15.0% 51 19.3% > 64 years 81 10.7% 43 15.3% 16 7.5% 22 8.3%
Male 410 54.1% 130 46.3% 113 53.1% 167 63.3% P < 0.001
Race/Ethnicity P < 0.001
Black/African American 294 38.8% 97 34.5% 54 25.4% 143 54.2% Latinx 305 40.2% 119 42.3% 121 56.8% 65 24.6% White 112 14.8% 44 15.7% 29 13.6% 39 14.8% Asian 39 5.1% 18 6.4% 7 3.3% 14 5.3% Other 59 7.8% 23 8.2% 10 4.7% 26 9.8%
Education P < 0.001
Less than a high school degree 210 27.7% 61 21.7% 83 39.0% 66 25.0% High school diploma or GED 260 34.3% 97 34.5% 55 25.8% 108 40.9% More than high school 281 37.1% 122 43.4% 73 34.3% 86 32.6%
Median Income (IQR) 20,000 11,00045,000 18,000 10,00028,500 11,000 1,00021,000 P < 0.001
Primary Language P < 0.001
English 518 68.3% 197 70.1% 100 46.9% 221 83.7% Spanish 216 28.5% 76 27.0% 105 49.3% 35 13.3% Other 22 2.9% 8 2.8% 7 3.3% 7 2.7%
English-speaking proficiency (selfassessed) P < 0.001
Well/Very well 586 77.3% 225 80.1% 124 58.2% 237 89.8% Not well/Not at all 168 22.2% 54 19.2% 89 41.8% 25 9.5%
Veteran 26 3.4% 8 2.8% 7 3.3% 11 4.2% P = 0.91
Main Insurance P < 0.001 None 58 7.7% 26 9.3% 20 9.4% 12 4.5% Medi-Cal 351 46.3% 104 37.0% 95 44.6% 152 57.6% Medicare 114 15.0% 56 19.9% 19 8.9% 39 14.8% Private 176 23.2% 64 22.8% 65 30.5% 47 17.8%
Other public insurance 59 7.8% 31 11.0% 14 6.6% 14 5.3%
Physical or mental disability affecting activities of daily living 93 12.3% 34 12.1% 47 22.1% 12 4.5% P < 0.001
GED, general education development; IQR, interquartile range. Bold P-values indicate statistical significance.
disparities in demographic characteristics by housing category compared to the study population as a whole included the following: a higher proportion of patients aged 25-54 years who were unstably housed (68.1% vs 57.0%); male patients experiencing homelessness (63.3% vs 54.1%); Black patients experiencing homelessness (54.2% vs 38.8%), Latinx patients
who were unstably housed (56.8% vs 40.2%), and Spanishspeaking patients who were unstably housed (49.3% vs 28.5%). Thirty-five (13.3%) of the 264 PEH in our study had homeless or housing instability noted in the chart, and only one (0.4%) of the unstably housed patients had any housing instability documented in their EHR.
The healthcare utilization of patients by housing status was notable for a higher median number of ED visits in the 12 months preceding the study among PEH (median 2, IQR: 2-5), compared to unstably housed (median 2, IQR: 1-3) and housed patients (median 2, IQR: 1-3), P = 0.02. There were no differences in hospitalization rates by housing category in the year prior to survey administration (Table 2). We found
Table 2. Healthcare usage and medical history by housing status.
Characteristic
Health and healthcare usage characteristics - chart review
needs of patients by housing category. Across each category of social needs, emotional stress and trauma, and substance use history, the prevalence increased across the housing spectrum, with housed being the lowest, followed by unstably housed, followed by homeless with the highest prevalence.
We reported the estimated coefficient associated with housing status for all 17 regressions, and the resulting lines are
Housed N = 281
Unstably housed N = 213 Homeless N = 264 P valuen % n % n %
ED visits in past 12 months, median (IQR) 2 (1-3) 2 (1-3) 2 (1-5) P=0.017 Hospitalizations in past 12 months, median (IQR) 0 (0-0) 0 (0-0) 0 (0-0) P=0.062
Hospital admission 40 14.2% 15 7.0% 20 7.6% Psychiatric admission 1 0.4% 0 0.0% 9 3.4% Home 226 80.4% 190 89.2% 216 81.8% Other 14 5.0% 8 3.8% 19 7.2% In custody 3 1.1% 3 1.4% 12 4.5% P=0.016
Past medical history (last 5 visits)
Hypertension 99 35.2% 62 29.1% 83 31.4% P=0.335 Diabetes 45 16.0% 41 19.2% 42 15.9% P=0.555 Stroke 15 5.3% 7 3.3% 7 2.7% P=0.234 Other heart disease 27 9.6% 21 9.9% 19 7.2% P=0.505 COPD 17 6.0% 7 3.3% 10 3.8% P=0.270
HIV 5 1.8% 3 1.4% 7 2.7% P=0.597 Depression or anxiety 32 11.4% 28 13.1% 42 15.9% P=0.299
Bipolar disorder 6 2.1% 6 2.8% 18 6.8% P=0.012
Schizophrenia 2 0.7% 4 1.9% 20 7.6% P<0.001 PTSD 2 0.7% 4 1.9% 8 3.0% P=0.133
IQR, interquartile range; COPD, chronic obstructive pulmonary disease; HIV, human immunodeficiency virus; PTSD, post-traumatic stress disorder. Bold P values indicate values that are statistically significant.
significant differences in disposition from the study ED visit by housing category at the index visit, however with higher rates of admission among housed patients (14.2%) compared to unstably housed (7.0%) and PEH (7.6%), and higher rates of disposition to psychiatric facilities among patients experiencing homelessness (3.4%) compared to unstably housed (0.0%) and housed patients (0.1%), P <0.001. More homeless patients (4.5%) were in custody at the time of their ED visit compared to unstably housed (1.4%) and housed patients (1.1%), P < 0.02.
Table 3 shows the social, emotional, and substance use
visualized in Figure 1. Each social factor was associated with increased risk as patients progressed from housed to unstably housed, with the highest risk for PEH. The regressions were again used in each of the 500 iterations, and the observed coefficient statistics compared to the null distribution created by the random permutations, which can be seen in Appendix B. When randomly inserting housing status, the distribution of coefficients for all of the social needs variables were significantly different than the observed coefficient, indicating a significant association with housing status for all of the analyzed social needs.
Table 3. Social and emotional needs by housing status included in regression analysis.
Characteristic
Health and social needs characteristics - survey responses
Housed N = 281
Unstably housed N = 213 Homeless N = 264 P valuen % n % n %
Unable to afford food in past 12 months 27 9.6% 58 27.2% 102 38.6% P < 0.001
Unable to afford clothing in past 12 months 19 6.8% 43 20.2% 81 30.7% P < 0.001
Unable to afford medicine or healthcare in past 12 months 28 10.0% 53 24.9% 99 37.5% P < 0.001
Unable to afford a telephone in past 12 months 22 7.8% 45 21.1% 80 30.3% P < 0.001
Utilities threatened to be shut off in past 12 months 22 7.8% 49 23.0% 78 29.5% P < 0.001
Unable to afford childcare in past 12 months 9 3.2% 14 6.6% 26 9.8% P = 0.03
Transportation barriers to medical care in past 12 months 33 11.7% 67 31.5% 111 42.0% P < 0.001
Transportation barriers to non-medical appointments in past 12 months 33 11.7% 72 33.8% 122 46.2% P < 0.001
See or speak to people close to you less than twice per week 76 27.0% 96 45.1% 125 47.3% P < 0.001 Feel stress "quite a bit" or "very much" of the time in the past 12 months 62 22.1% 81 38.0% 157 59.5% P < 0.001
Incarcerated for 2 or more nights in past 12 months 14 5.0% 12 5.6% 49 18.6% P < 0.001
Experienced physical abuse in the past 12 months 21 7.5% 32 15.0% 69 26.1% P < 0.001 Talked down to or insulted in the past 12 months 61 21.7% 72 33.8% 131 49.6% P < 0.001 Have been threatened in the past 12 months 16 5.7% 29 13.6% 69 26.1% P < 0.001
Unhealthy alcohol use 92 32.7% 87 40.8% 117 44.3% P = 0.02
Unhealthy prescription drug use 21 7.5% 28 13.1% 53 20.1% P < 0.001
Unhealthy illegal drug use 30 10.7% 38 17.8% 81 30.7% P < 0.001
*Unhealthy substance use determined using National Institute on Drug Abuse Single-Item Screening Question.
Figure 1. Results from regression analysis and estimated coefficients associated with housing status.
The full results of the propensity score analysis were published in a prior manuscript; the distribution of scores grouped toward the middle suggested that the respondents and nonrespondents were similar with regard to baseline characteristics.32
We found that the majority of patients in our study faced homelessness acutely or imminently, with 37% of ED patients experiencing homelessness and 28% who were unstably housed. This is a much higher prevalence than in previous ED studies.13,37,38 This higher prevalence is likely explained by several factors, some of which are unique to our ED and part of the country. Our study takes place in an urban safety-net ED in a geographic region that has high rates of homelessness and housing instability. It is important to note that while this may be a finding that may not be applicable to all EDs, the high rates of housing instability and social needs among patients in our ED highlights the important role of safety-net EDs for vulnerable communities. Given the stark disparities in the US healthcare system, our work is likely generalizable to many EDs serving similar populations, but the findings may be less informative for EDs serving more privately insured patients or in parts of the country with lower rates of homelessness. Moreover, the observation of a graded risk of housing associated with increasingly prevalent social needs suggests that developing ED-based interventions for patients who are unstably housed may be particularly important areas for future work.
To intervene on behalf of these particularly vulnerable patients, we must first recognize and identify them. There was a large discrepancy between the housing category identified in the study and what was documented in the study participants’ corresponding medical charts: <1% in the unstably housed group and 13% in the homeless group had documentation in the EHR correctly reflecting their housing status. Screening for housing instability is lacking in most EDs, and screening tools to ask about housing instability, perhaps by including the questions used in this study, could be integrated into ED-based screening programs.32,33 Additional questions could prove somewhat burdensome for many EDs without proper support, and further investigation is needed to confirm the optimal number and combination of questions to screen for housing insecurity.
We found notable demographic disparities in patients with unstable housing compared with PEH in our population. Housing insecurity and homelessness have been shown to affect people of color at vastly disproportionate rates, with Black populations estimated to be four times as likely to experience homelessness during their lifetime than their White counterparts and Latinx twice as likely.17 In our cohort, Latinx patients were disproportionately overrepresented in the unstably housed group. Additionally, patients who were unstably housed were more likely to report a significant disability (22%) compared to PEH (4.5%) and stably housed individuals (12.1%). This is consistent with other data
showing that US poverty rates among those with disabilities is more than twice as high as those without.39 Unstably housed patients also reported lower levels of English proficiency or speaking a primary language other than English, suggesting a higher immigrant population in this group. Research strongly suggests that language barriers adversely affect patients’ health status and ability to access healthcare, although less is known about the impact of language on housing stability.40,41
Given that housing instability is a graded risk factor, and that there are known poor outcomes for PEH,6 unstably housed populations are a prime target for harm-reduction interventions. Interventions in the ED could target a specific social need, like food insecurity (present in 27% of unstably housed individuals in our study), or specific social needs most prevalent in a particular community. Case management or other approaches to ensure that patients who are unstably housed do not “fall through the cracks” regarding their social needs could help lessen stressors and possibly prevent progression to homelessness. By identifying and targeting this vulnerable group, ED-based interventions could be targeted to have significant impact on patient outcomes and address needs of patients who are unstably housed before progression to homelessness.
In our ED we have attempted to address social needs holistically, rather than attempting to take on the entirety of a patient’s housing needs from a brief ED visit. Realistically, finding permanent supportive housing is extremely complicated, and is an unreasonable expectation to place on emergency clinicians. Rather, we have modified our approach to target specific needs of our population who are experiencing homelessness or are unstably housed. We do have a general approach to PEH that includes a partnership with social work and local housing organizations, but it is often more practicable to address individual needs. While this approach may only be related to some of the underlying social issues, EDs should consider addressing some of the specific needs of patients given the complexities of the housing crisis especially in urban areas with large homeless and unstably housed populations. For example, our social work and substance use disorder treatment teams routinely work to provide PEH and unstably housed patients with food and clothing, thereby integrating individual needs while seeking temporary emergency shelter placement if patients are agreeable. Additionally, our approach to these interventions is specifically trauma informed; support staff all receive training in trauma-informed care, helping us to also consider the past trauma, psychosocial, and emotional needs of our patients when addressing social determinants of health.
The consistent increase in social needs as patients progressed from housed, to unstably housed, to homeless is in line with studies showing that housing stability is a graded risk factor for poorer outcomes among populations outside the ED.29,42 More research is needed regarding the benefits of ED screening for housing instability, but neglecting to screen for and target the unstably housed, and focusing solely on homelessness, is similar to ignoring angina and only treating the acute heart attack: a
missed opportunity for intervention and risk reduction.
Our study has several important limitations. This data represents a single-center, convenience sample in an urban setting and may not be generalizable to EDs in other settings. There are seasonal variations to homelessness and because our study was conducted in summer months, data may not be representative of housing statistics at other times of the year. Further, only 65% of all patients eligible during study periods were approached. This was mostly due to limited time capacity of RAs, which may have biased who was approached.32 This data notably includes patients in custody at time of the survey, who are excluded from federal definitions of homelessness. It does not include data from patients who presented medically unstable or unresponsive, or who were unable to complete the survey due to initiation of medical care It’s possible that the sicker patients who were excluded by this study design had even higher levels of homeless and housing instability, given what we know about PEH having a higher burden of illness and mortality.
Another limitation was that surveys were only conducted in English and Spanish, with 17% of screened patients ineligible due to a language barrier. Finally, there is no standard definition of housing instability. As discussed, we made our own screening tool and used a more comprehensive definition than prior studies. The question of how to define and identify housing instability remains central to further work in this area.
In our study sample we found nearly one third of our patient population was unstably housed, and another third was experiencing homelessness. We note important disparities, including higher rates of homelessness among Black patients, and higher rates of unstable housing among Latinx and Spanish-speaking patients. We also found that social, emotional, and substance abuse-related needs increased significantly as housing became more unstable, even when controlling for baseline demographic characteristics.
Address for Correspondence: Erik S. Anderson, MD, Alameda Health System, Department of Emergency Medicine, 1411 E 31st Street, Oakland, CA 94602. Email: esanderson@ alamedahealthsystem.org.
Conflicts of Interest: By the WestJEM article submission agreement, all authors are required to disclose all affiliations, funding sources and financial or management relationships that could be perceived as potential sources of bias. No author has professional or financial relationships with any companies that are relevant to this study. There are no conflicts of interest or sources of funding to declare.
Copyright: © 2022 Wormley et al. This is an open access article distributed in accordance with the terms of the Creative Commons Attribution (CC BY 4.0) License. See: http://creativecommons.org/ licenses/by/4.0/
1. Fazel S, Geddes JR, Kushel M. The health of homeless people in high-income countries: descriptive epidemiology, health consequences, and clinical and policy recommendations. Lancet 2014;384(9953):1529-40.
2. Aldridge RW, Story A, Hwang SW, et al. Morbidity and mortality in homeless individuals, prisoners, sex workers, and individuals with substance use disorders in high-income countries: a systematic review and meta-analysis. Lancet. 2018;391(10117):241-50.
3. Baggett TP, O’Connell JJ, Singer DE, et al. The unmet health care needs of homeless adults: a national study. Am J Public Health 2010;100(7):1326-33.
4. Baggett TP, Hwang SW, O’Connell JJ, et al. Mortality among homeless adults in Boston: shifts in causes of death over a 15-year period. JAMA Intern Med. 2013;173(3):189.
5. Seastres RJ, Hutton J, Zordan R, et al. Long-term effects of homelessness on mortality: a 15-year Australian cohort study. Aust N Z J Public Health. 2020;44(6):476-81.
6. Morrison DS. Homelessness as an independent risk factor for mortality: results from a retrospective cohort study. Int J Epidemiol 2009;38(3):877-83.
7. Ivers JH, Zgaga L, O’Donoghue-Hynes B, et al. Five-year standardised mortality ratios in a cohort of homeless people in Dublin. BMJ Open. 2019;9(6):e023010corr1.
8. Homeless Mortality Data Workgroup. Homeless Mortality Data Toolkit: Understanding and Tracking Deaths of People Experiencing Homelessness. 2021. Available at: https://nhchc.org/wp-content/ uploads/2020/12/Homeless-Mortality-Toolkit-FULL-FINAL.pdf. Accessed September 26, 2021.
9. Drake RE, Osher FC, Wallach MA. Homelessness and dual diagnosis. Am Psychol. 1991;46(11):1149-58.
10. Doran KM, Rahai N, McCormack RP, et al. Substance use and homelessness among emergency department patients. Drug Alcohol Depend. 2018;188:328-33.
11. Farrell M, Howes S, Taylor C, et al. Substance misuse and psychiatric comorbidity. Addict Behav. 1998;23(6):909-18.
12. Maremmani AGI, Bacciardi S, Gehring ND, et al. Substance use among homeless individuals with schizophrenia and bipolar disorder. J Nerv Ment Dis. 2017;205(3):173-7.
13. Gerber E, Gelberg L, Rotrosen J, et al. Health-related material needs and substance use among emergency department patients. Subst Abuse. 2020;41(2):196-202.
14. Torchalla I, Strehlau V, Li K, et al. Substance use and predictors of substance dependence in homeless women. Drug Alcohol Depend 2011;118(2-3):173-9.
15. Foster A, Gable J, Buckley J. Homelessness in schizophrenia. Psychiatr Clin North Am. 2012;35(3):717-34.
16. Kushel M. The first step is the hardest: overcoming barriers to primary care. J Gen Intern Med. 2015;30(7):868-9.
17. Fusaro VA, Levy HG, Shaefer HL. Racial and ethnic disparities in the lifetime prevalence of homelessness in the United States. Demography. 2018;55(6):2119-28.
18. Salhi BA, White MH, Pitts SR, et al. Homelessness and emergency medicine: a review of the literature. Acad Emerg Med 2018;25(5):577-93.
19. Hernandez S, Gloria A, Mitchell S. An act to amend, repeal, and add section 1262.5 of the Health and Safety Code, Relating to Public Health. 2018. Available at: https://leginfo.legislature.ca.gov/faces/ billTextClient.xhtml?bill_id=201720180SB1152. Accessed September 26, 2021.
20. Samuels-Kalow ME, Boggs KM, Cash RE, et al. Screening for healthrelated social needs of emergency department patients. Ann Emerg Med. 2021;77(1):62-8.
21. Frederick TJ, Chwalek M, Hughes J, et al. How stable is stable? Defining and measuring housing stability. J Community Psychol 2014;42(8):964-79.
22. Geller A, Curtis MA. A sort of homecoming: incarceration and the housing security of urban men. Soc Sci Res. 2011;40(4):1196-213.
23. Riley ED, Vittinghoff E, Kagawa RMC, et al. Violence and emergency department use among community-recruited women who experience homelessness and housing instability. J Urban Health. 2020;97(1):7887.
24. Arum C, Fraser H, Artenie AA, et al. Homelessness, unstable housing, and risk of HIV and hepatitis C virus acquisition among people who inject drugs: a systematic review and meta-analysis. Lancet Public Health. 2021;6(5):e309-e323.
25. Cusack M, Montgomery AE, Cashy J, et al. Examining veteran housing instability and mortality by homicide, suicide, and unintentional injury. J Soc Distress Homelessness. 2021;30(2):17480.
26. Zivanovic R, Milloy MJ, Hayashi K, et al. Impact of unstable housing on all-cause mortality among persons who inject drugs. BMC Public Health. 2015;15:106.
27. Hatem C, Lee CY, Zhao X, et al. Food insecurity and housing instability during early childhood as predictors of adolescent mental health. J Fam Psychol. 2020;34(6):721-30.
28. Drake RE, Wallach MA, Hoffman JS. Housing instability and homelessness among aftercare patients of an urban state hospital. Psychiatr Serv. 1989;40(1):46-51.
29. Reid K, Vittinghoff E, Kushel MB. Association between the level of housing instability, economic standing and health care access: a meta-regression. J Health Care Poor Underserved. 2008;19(4):121228.
30. Kushel MB, Perry S, Bangsberg D, et al. Emergency department
use among the homeless and marginally housed: results from a community-based study. Am J Public Health. 2002;92(5):778-84.
31. To MJ, Palepu A, Aubry T, et al. Predictors of homelessness among vulnerably housed adults in 3 Canadian cities: a prospective cohort study. BMC Public Health. 2016;16(1):1041.
32. Fraimow-Wong L, Sun J, Imani P, et al. Prevalence and temporal characteristics of housing needs in an urban emergency department. West J Emerg Med. 2021;22(2).
33. National Association of Community Health Centers. PRAPARE: Protocol for Responding to and Assessing Patient Assets, Risks, and Experiences. 2016. Available at: https://www.nachc.org/researchand-data/prapare/prapare_one_pager_sept_2016-2/. Accessed September 5, 2019.
34. Centers for Medicare & Medicaid Services. The Accountable Health Communities Health-Related Social Needs Screening Tool. 2017. Available at: https://innovation.cms.gov/files/worksheets/ahcmscreeningtool.pdf. Accessed September 5, 2019.
35. Harris PA, Taylor R, Thielke R, et al. Research Electronic Data Capture (REDCap)—A metadata-driven methodology and workflow process for providing translational research informatics support. J Biomed Inform. 2009;42(2):377-81.
36. Harris PA, Taylor R, Minor BL, et al. The REDCap consortium: building an international community of software platform partners. J Biomed Inform. 2019;95:103208.
37. Feldman BJ, Calogero CG, Elsayed KS, et al. Prevalence of homelessness in the emergency department setting. West J Emerg Med. 2017;18(3):366-72.
38. Tsai M, Weintraub R, Gee L, et al. Identifying homelessness at an urban public hospital: a moving target? J Health Care Poor Underserved. 2005;16(2):297-307.
39. Goodman N, Morris M, Boston K, et al. Financial inequality: disability, race and poverty in America. 2017. Available at: http://www. advancingstates.org/node/69790. Accessed December 9, 2021.
40. Flores G. The impact of medical interpreter services on the quality of health care: a systematic review. Med Care Res Rev 2005;62(3):255-99.
41. Jacobs E, Chen AH, Karliner LS, et al. The need for more research on language barriers in health care: a proposed research agenda. Milbank Q. 2006;84(1):111-33.
42. Kushel MB, Gupta R, Gee L, et al. Housing instability and food insecurity as barriers to health care among low-income Americans. J Gen Intern Med. 2006;21(1):71-7.
Shannon Findlay, MD, MPH*
Uche Okoro, MBBS, DrPH*
Sangil Lee, MD, MS*
Karisa Harland, MPH, PhD*
Marisa Evers, MD†
Elizabeth Gaffney, BS*
Mary McCormick, BA*
Chris Buresh, MD, MPH‡
Section Editor: Caitlin Ryus, MD
* † ‡
The University of Iowa Roy J. and Lucille A. Carver College of Medicine, Department of Emergency Medicine, Iowa City, Iowa University of Michigan, Department of Emergency Medicine, Ann Arbor, Michigan University of Washington, Department of Emergency Medicine, Seattle, Washington
Submission history: Submitted January 16, 2022; Revision received July 22, 2022; Accepted August 24, 2022 Electronically published November 1, 2022 Full text available through open access at http://escholarship.org/uc/uciem_westjem DOI: 10.5811/westjem.2022.8.56145.
Introduction. The coronavirus 2019 (COVID-19) pandemic caused significant disruptions in daily life. Given the role that social determinants of health play in the overall well-being of individuals and populations, we wanted to determine the effects of the COVID-19 pandemic on our patient population in the emergency department (ED).
Methods: We adapted the Centers for Medicare and Medicaid Services social risk assessment to assess changes to participants’ social situations throughout the COVID-19 pandemic from January 2020–February 2021. The survey was administered within the ED to individuals selected by a convenience sample of patients who were stable enough to complete the form.
Results: We received 200 (66%) responses from the 305 patients approached. Worsened food access was reported by 8.5% (17) of respondents, while 13.6% (27) reported worsened food concern since the onset of the COVID-19 pandemic. The odds of worsened food access were higher among non-Whites (adjusted odds ratio [aOR] 19.17, 95% confidence interval [CI] 3.33-110.53) and females (aOR 9.77, CI 1.51-63.44). Non-Whites had greater odds of worsened food concern (aOR 15.31, CI 3.94-59.54). Worsened financial difficulty was reported by 24% (48) of respondents. The odds of worsened financial difficulty were higher among females (aOR 2.87, 95% CI 1.08-7.65) and non-Whites (aOR 10.53, CI 2.75-40.35).
Conclusion: The COVID-19 pandemic has worsened many of the social determinants of health found within communities. Moreover, vulnerable communities were found to be disproportionately affected as compared to their counterparts. Understanding the challenges faced by our patient populations can serve as a guide on how to assist them more comprehensively. [West J Emerg Med. 2022;23(6)811–816.]
Background
Coronavirus 2019 (COVID-19) is an infectious respiratory disease caused by the severe acute respiratory syndrome coronavirus 2. The first COVID-19 case in the United States,
according to the US Centers for Disease Control and Prevention (CDC), was reported on January 21, 2020. On March 11, 2020, the World Health Organization (WHO) declared COVID-19 to be a global pandemic. Beyond the health effects caused by the disease, COVID-19 also precipitated economic disruptions
throughout the country. With this came unprecedented unemployment rates, loss of insurance, and severe economic hardships, especially among low-income populations.1 People diagnosed with COVID-19 have faced employment challenges and large medical bills.2 These sudden economic shocks can increase morbidity and mortality, especially within the realm of mental health. It has been noted that higher rates of unemployment are correlated with increased rates of suicide.3
The COVID-19 pandemic has further highlighted the relationship of our traditional health views with the importance of understanding the impact of social determinants of health (SDoH) on overall well-being. Moreover, the pandemic has illustrated the role of SDoH at both an individual and population health level. The SDoH, as defined by WHO, are “conditions in which people are born, grow, live, work, and age,” which are “shaped by the distribution of money, power, resources at global, national, and local levels.”4 The CDC further categorizes SDoH into five domains: economic stability; education access and quality; healthcare access and quality; neighborhood and built environment; and social and community context. Although separately categorized, these five domains impact one another rather than acting as isolated entities.
With the role that SDoH play in the overall well-being of individuals and populations, the information gathered from participants’ responses to our survey helped determine the effects of the COVID-19 pandemic on their overall health. The effects of the pandemic on SDoH may also be viewed through the lens of social vulnerability. Social vulnerability refers to the potential negative effects on communities caused by external stressors on human health. Such stressors include natural or human-caused disasters, or disease outbreaks. Vulnerable and at-risk populations have been shown to be most likely to seek care through the emergency department (ED).5,6
With this understanding of SDoH and social vulnerability, we conducted a survey within the ED to assess how the pandemic has impacted our patient population and its effect on social risk.
This was a cross-sectional survey evaluating changes to patients’ social situations throughout the COVID-19 pandemic. In this study we adhered to the Strengthening the Reporting of Observational studies in Epidemiology (STROBE) initiative reporting guidelines. The institutional review board approved the study under a waiver of informed consent.
The study setting included adult patients and the guardians of pediatric patients seen in an ED at a 60,000-visit, academic. Level I trauma center between October 2020–February 2021. This timeframe was impacted by the COVID-19 pandemic.
What do we already know about this issue?
COVID-19 has highlighted the importance of understanding the impact of social determinants of health on overall well-being.
What was the research question? What were the effects of the COVID-19 pandemic on our patient population in the emergency department?
What was the major finding of the study?
The COVID-19 pandemic worsened food access (13.6% of patients) and financial troubles (24%), and non-Whites had 19-fold increased odds ratio than Whites for food access, and 15-fold for financial troubles, exacerbating disparities in social determinants of health.
How does this improve population health? Understanding the challenges faced by our patient populations can serve as a guide on how to assist them more comprehensively.
The community of Iowa City in Johnson County, Iowa, has a population of approximately 74,000, consisting primarily of 78% White, 8% Black, 7% Asian, and 6% Hispanic.7 From October 2020–March 2021, our community’s average unemployment rate was 3.7%, vastly lower than the US average of 6.5%8 but significantly higher than the 2.1% that it had been the year before.9
The social vulnerability index (SVI) is used by the CDC to help identify communities that may need support before, during, or after disasters. Counties are ranked from 0 to 1, with 1 being the highest vulnerability. Each theme is ranked, along with an overall SVI score assigned.10 The SVI scores show a low to moderate level of vulnerability at 0.2675 for our county (socioeconomic status 0.201; household composition and disability 0.006; minority status and language 0.7494; and housing/transportation 0.8593).10
Participants included patients (or their guardians if the patient was <18 years of age) who were seen in the ED from October 2020–February 2021. It was administered within the ED to individuals selected by a convenience sample who were stable enough to give verbal consent and complete the form. Patients were not approached if they presented to the ED with unstable psychiatric or behavioral issues, altered mental status, or imprisonment status. Patients were excluded from the survey if they could not complete it in the following languages: Arabic; Chinese; English; French; Spanish; or Swahili.
The primary outcomes of interest were food access and food concern before and during the COVID-19 pandemic. Food access was defined as food that was bought but didn’t last and the lack of money to buy more. Food concern was defined as individuals being worried that their food would run out before they got money to buy more. Secondary dependent variables included financial difficulty, anxiety, loss of interest, depression, stress, access to reliable transportation, living situation, safety, employment situation, substance use disorder, alcohol use disorder, use of tobacco and illegal drugs, disability, lack of exercise, and isolation before and during the COVID-19 pandemic. Each subject was asked to report whether these concerns got worse, better, or stayed the same during the COVID-19 pandemic compared to prior to the pandemic.
The survey was adapted from the Accountable Health Communities Health-Related Social Needs Screening Tool (AHC HRSN) of the Centers for Medicare and Medicaid Services. The survey incorporated 13 specific domains to assess changes to participants’ social situations throughout the COVID-19 pandemic from January 2020–February 2021. We collected and managed study data from the survey using REDCap electronic data capture tools hosted at University of Iowa Hosptial and Clinics.1,2
After verbal consent was obtained, subjects completed the survey using an iPad. The survey response rate was measured based on the number of ED patients who were approached and the number who answered the survey during the study period. The AHC HRSN survey consisted of a total of 26 questions related to food, housing, transportation, access to healthcare, mental health, substance use, educational background, and physical activity using categorical responses. In addition to the participants’ answers to the AHC HRSN questions, we recorded the first two initials of their first name and the last two initials of their last name, along with their age, gender, race/ethnicity, and ZIP code.
A member of the research team opened the survey on the tablet and asked whether the patient preferred to complete the survey on their own or if they needed assistance. Patients who needed assistance included those who required mechanical assistance (pressing buttons or working a tablet, for example) or reading assistance. The survey was automatically uploaded to the database; no data entry was required of the research team.
The proposed study used hypothesis generation to determine the extent of food insecurity. Estimated food insecurity was 10% pre-pandemic and 20% post-pandemic.12 Given these numbers, a sample size of 199 was needed to have
80% power, 5% alpha, and 80% beta.
We excluded missing observations from the analysis.
Descriptive statistics are presented as frequencies and proportions. The primary outcome variables, which include food concern and food access, had three levels and were analyzed using multinomial logistic regression with “stayed the same” as the referent group. We adjusted the models for age, race, and gender. Age was categorized as ≤50 and >50 years, and race was grouped as White and non-White. Secondary outcomes were analyzed using binomial and multinomial logistic regression, as appropriate, adjusting for age, gender, and race.
Effect size was measured using unadjusted odds ratios (OR) and adjusted odds ratios (aOR) with 95% confidence intervals (CI). All tests were two-sided; statistically significant level was set at P-values less than 0.05. We performed statistical analyses using SAS version 9.4 (SAS Institute Inc, Cary, NC). Forest plot was displayed using Prism 9.0 (Graphpad Software, San Diego, CA).
We received 200 (66%) responses from the 305 patients who were approached for a survey. Of the 305 individuals approached, 105 did not agree to participate or were excluded. The predominant reasons for exclusion were lack of interest in completing a survey, followed by mandatory exclusion for prisoners; other patients who could not participate included those in isolation precautions, those who had completed the survey at a past ED visit, and those who declined due to high pain levels. Over two thirds of participants were White and over half were female. See table for participant characteristics.
Worsened food access was reported by 8.5% (17) of respondents, while 13.6 % (27) reported worsened food concern since the onset of the COVID-19 pandemic. Higher odds of worsened food access (OR 8.69, 95% CI 2.87- to 26.31), and worsened food concern (OR 10.39, 95% CI 3.79- 28.49)] was reported by non-Whites when compared to Whites.
The odds of worsened food access were higher among non-Whites (aOR 19.17, 95% CI 3.33-110.53) and females (aOR 9.77, CI 1.51-63.44). Also, non-Whites had greater odds of worsened food concern (aOR 15.31, CI 3.94-59.5) when compared to Whites.
Worsened financial difficulty was reported by 24% (48) of respondents. Higher odds of worsened financial difficulty was
Table. Characteristics of patients who completed a survey that assessed social risks.
Variables
Ethnicity
Frequencies Percent (%)
Hispanic or Latino 7 (4.0)
Not Hispanic or Latino 168 (94.9)
Unknown/not reported 2 (1.1) Missing 23 Race
American Indian/Alaska Native 0 (0)
Asian 1 (0.6)
Native Hawaiian or other Pacific Islander 0 (0) Black or African American 15 (8.6) White 151 (86.3)
More than one 3 (1.7) Unknown/not reported 5 (2.9) Missing 25 Age
≤50 56 (48.3)
>50 60 (51.7) Missing 84 Gender
Female (55.6) Male (44.4) Missing
Footnote: The missing observations were not included in the percentages.
reported by patients aged ≤50 years or less compared to those >50 years (OR 2.46, 95% CI 1.11-5.48), Hispanics compared to non-Hispanics (OR 4.89, 95% CI 1.05-22.84] and nonWhites compared to Whites (OR 5.43, 95% CI 2.20-13.41). The odds of worsened financial difficulty were higher among females (aOR 2.87, 95% CI 1.08-7.65]), non-Whites (aOR 10.53, 95% CI 2.75-40.35]), and patients aged ≤50 years (aOR 2.48, 95% CI 1.00-6.14).
Worsened anxiety since the onset of the COVID-19 pandemic was reported in 30% (59) of individuals following the pandemic. No one reported worsened depression, and 20.8% (41) reported their depression had improved. Females had higher odds of worsened loss of interest or pleasure in doing things since the COVID-19 pandemic started (aOR 3.10, 95% CI 1.088.86) adjusted for age and race. The odds of having worsened difficulties concentrating and making decisions due to a physical, mental, or emotional condition in the COVID-19 period were higher for non-Whites (OR 4.00, 95% CI 1.07-14.90]. After adjusting for age and gender, non-Whites had more difficulties post COVID-19 pandemic with reliable transportation (aOR 25.37, 95% CI 3.99-161.20) adjusted for age and gender (Figure).
Figure. Odds Ratios of Additional Analysis aOR, adjusted odds ratio; CI, confidence interval.
The effect of the COVID-19 pandemic on SDoH highlights the importance of recognizing health and well-being beyond the limits of the healthcare system. It is important to acknowledge the vulnerabilities and strengths of communities. This allows for interventions that support health more fully. Overall, we found that the SDoH of our patients worsened during the pandemic. Participants were found to have increased concerns over food security, anxiety, and their financial situations. Moreover, nonWhites and females were often found to be disproportionately affected as compared to their White and male counterparts. Non-Whites were found to have higher odds of worsened food concern and access, financial difficulties, and transportation needs as compared to Whites. Females were also found to have higher odds of financial difficulty.
Food insecurity is a problem that affects numerous people living in the US. While the overall rate of food insecurity remained constant at 10.5% from 2019 to 2020, subgroup analysis showed that the rate of food insecurity for households with Black and non-Hispanic inhabitants rose from 19.1% to 21.7% per a report from the US Department of Agriculture.13 Our findings also found that non-Whites were disproportionately affected and had worsened food concern and access.
Not only did many participants have concerns related to food, but those surveyed also reported increased financial concerns. These findings may be reflective of the significant job loss that occurred following the pandemic.14,15 Our results indicate that 24% of participants experienced worsened financial difficulty since the start of the pandemic. A recent Canadian study also showed that about 20% of participants had concerns over meeting basic needs in the following six months of the pandemic.16
Furthermore, there were differences among vulnerable communities’ financial concerns. An April 2020 survey from the Pew Charitable Trust noted that 48% of Blacks, 44% of Hispanics, and 26% of White adults said they “cannot pay some bills or can only make partial payments on some of them this month.”14 In a typical month, 46% of Black, 28%
of Hispanic, and 20% of Whites reported difficulty paying bills.14. We found that non-Whites had higher odds of financial difficulties (OR 5.43, CI 2.20-13.41). One cause may have been that vulnerable populations were more likely to suffer from wage loss as was seen in the Pew Charitable Trust survey, in which 61% of Hispanics, 44% of Blacks, and 38% of Whites noted wage losses in April 2020.14
Barriers to transportation have been noted to disproportionately affect vulnerable communities.15 We found that non-Whites had higher odds of worsened transportation difficulty during the pandemic. The concern with worsening access to transportation is that lack of transportation can lead to worse health outcomes due to missed outpatient visits and limited access to outpatient services, which in turn lead to higher ED use.15,17,18 From a review of 25 studies, it was found that 10-51% of patients noted lack of transportation as a barrier to healthcare.19
With regard to mental health-related questions, our study had mixed results. While there was a 30% increase in anxiety, depression seemed to improve by 20.8%. A recent study in an Australia ED found that presentations for anxiety and social and behavioral issues increased by 11.1% and 6.5%, respectively, but suicidal ideation and self-harm decreased by 26%.20 The authors of that study noted that while there was a decrease in the number of individuals presenting to the ED for suicidal thoughts, there was an increase in the use of mental health support hotlines.20 It is possible that our patients also chose other methods of receiving care during the pandemic regarding depressive symptoms.
It has been described throughout the pandemic that many people avoided visits to the ED due to concerns of encountering patients infected with COVID-19. An additional reason for the somewhat unexpected result with regard to mental health in our study could be due to the study methods we used. While we did not directly exclude patients with mental health issues, individuals who were not considered stabilized at the time of the sampling would not have been invited to participate. On further analysis, we also found that females had higher odds of worsened loss of interest or pleasure in doing things as compared to men
A study by Lindau et al evaluated the relationship in women between changes in health-related socioeconomic risks (HRSR) and mental health pre-pandemic and early in the pandemic phase. They found that women, regardless of previous HRSR, had worsened depression and anxiety early in the pandemic but that it was most prominent in those with high HRSRs.21
There are several limitations to consider. First, our study was largely exploratory. Second, prisoners and unstable patients were excluded. There may have been a selection bias from the research staff in approaching patients with mental health, behavioral, or intoxication chief complaints. It can be difficult to determine when these patients meet the criteria for being stable for participation; however, research staff were able to reach out to clinicians to help determine whether the patient was stable. Due to limited personal protective
equipment, research staff were not always able to approach a patient suspected of having COVID-19.
Additionally, a non-response bias may have been present. Individuals who declined to participate may not have had similar characteristics to those who participated. For individuals who did participate, a recall bias may have been present. Participants were asked to think retrospectively about their social situations at the time the survey was completed. It should be noted, too, that our study may not be generalizable to other populations. Most of our patients are predominantly White and speak English. While we translated the survey into multiple other languages spoken by our patients, the survey was collected only from those who spoke English. Finally, our study took place in a single academic hospital in a largely rural Midwestern state and may not be representative of other geographical areas.
The COVID-19 pandemic has worsened many of the social determinants of health found within the communities we serve. Moreover, women and non-Whites were found to have more financial and food concerns as compared to their counterparts. Understanding the challenges faced by our patient populations can serve as a guide on how to assist them more comprehensively. Interventions can then target resourcebuilding and community partnerships that will help our patients get the support they need.
Research reported in this publication was supported by the National Center for Advancing Translational Sciences of the National Institutes of Health (NIH) under Award Number UL1TR002537. The content is solely the responsibility of the authors and does not necessarily represent the official views of the NIH. We would like to thank Catherine Fairfield, BSN, Emergency Medicine Research Coordinator, and the team with the Emergency Department Research Enroller Program for their essential role in enrolling patients and collecting data for this project.
Address for Correspondence: Shannon Findlay, MD, University of Iowa Hospital and Clinics, Department of Emergency Medicine, 200 Hawkins Dr. Iowa City, IA 52242. Email: shannon-findlay@ uiowa.edu.
Conflicts of Interest: By the WestJEM article submission agreement, all authors are required to disclose all affiliations, funding sources and financial or management relationships that could be perceived as potential sources of bias. No author has professional or financial relationships with any companies that are relevant to this study. There are no conflicts of interest or sources of funding to declare.
Copyright: © 2022 Findlay et al. This is an open access article distributed in accordance with the terms of the Creative Commons Attribution (CC BY 4.0) License. See: http://creativecommons.org/ licenses/by/4.0/
1. Benfer EA, Vlahov D, Long MY, et al. Eviction, health inequity, and the spread of COVID-19: housing policy as a primary pandemic mitigation strategy. J Urban Health. 2021;98(1):1-12.
2. Sharma SV, Chuang RJ, Rushing M, et al. Social determinants of health-related needs during COVID-19 among low-income households with children. Prev Chronic Dis. 2020;17:E119.
3. Bambra C, Riordan R, Ford J, et al. The COVID-19 pandemic and health inequalities. J Epidemiol Community Health. 2020;74(11):964-8.
4. Samuels-Kalow ME, Ciccolo GE, Lin MP, et al. The terminology of social emergency medicine: measuring social determinants of health, social risk, and social need. J Am Coll Emerg Physicians Open. 2020;1(5):852-6.
5. Cole MB, Nguyen KH. Unmet social needs among low-income adults in the United States: associations with health care access and quality. Health Serv Res. 2020;55 Suppl 2(Suppl 2):873-82.
6. Misa NY, Perez B, Basham K, et al. Racial/ethnic disparities in COVID-19 disease burden & mortality among emergency department patients in a safety net health system. Am J Emerg Med 2021;45:451-7.
7. United States Census Beureau. Quick Facts Iowa City, Iowa. 2021. Available at: https://www.census.gov/quickfacts/iowacitycityiowa. Accessed June 1, 2021.
8. US Buearu of Labor Statistics. Economy at a Glance. 2021. Available at: www.bls.gov/eag/eag.ia_iowacity_msa.htm. Accessed June 1, 2021.
9. Labor Market Information Division. Iowa Unemployment Rates by County January 2019. 2019. Available at: http://publications.iowa. gov/29854/5/IowaURxCountyMap-January-2019.pdf. Accessed June 1, 2021.
10. Agency for Toxic Substances and Disease Registry. CDC’s Social Vulnerability Index. 2018. Available at: svi.cdc.gov/map.html. Accessed June 1, 2021.
11. Harris PA, Taylor R, Thielke R, et al. Research electronic data capture (REDCap)--a metadata-driven methodology and workflow
process for providing translational research informatics support. J Biomed Inform. 2009;42(2):377-81.
12. Miner JR, Westgard B, Olives TD, et al. Hunger and food insecurity among patients in an urban emergency department. West J Emerg Med. 2013;14(3):253-62.
13. Coleman-Jensen A, Rabbitt MP, Gregory CA, et al. Household food security in the United States in 2020 US Department of Agriculture;2020.
14. Lopez MH, Rainie L, Budiman A. Financial and health impacts of COVID-19 vary widely by race and ethnicity. 2020. Availble at: https:// www.pewresearch.org/fact-tank/2020/05/05/financial-and-healthimpacts-of-covid-19-vary-widely-by-race-and-ethnicity/. Accessed June 1, 2021.
15. Alter HJ, Dalawari P, Doran KM, et al. Social Emergency Medicine: Principles and Practice Springer; 2021.
16. Carroll N, Sadowski A, Laila A, et al. The impact of COVID-19 on health behavior, stress, financial and food security among middle to high income Canadian families with young children. Nutrients. 2020;12(8).
17. Cheung PT, Wiler JL, Ginde AA. Changes in barriers to primary care and emergency department utilization. Arch Intern Med. 2011;171(15):1397-9.
18. Kangovi S, Barg FK, Carter T, et al. Understanding why patients of low socioeconomic status prefer hospitals over ambulatory care. Health Aff (Millwood). 2013;32(7):1196-203.
19. Syed ST, Gerber BS, Sharp LK. Traveling towards disease: transportation barriers to health care access. J Community Health. 2013;38(5):976-93.
20. Dragovic M, Pascu V, Hall T, et al. Emergency department mental health presentations before and during the COVID-19 outbreak in Western Australia. Australas Psychiatry. 2020;28(6):627-31.
21. Lindau ST, Makelarski JA, Boyd K, et al. Change in health-related socioeconomic risk factors and mental health during the early phase of the COVID-19 pandemic: a national survey of U.S. women. J Womens Health (Larchmt). 2021;30(4):502-13.
Jacqueline Furbacher, MD*
Callan Fockele, MD†
Ben Del Buono, MD‡
Laura Janneck, MD§
Cooper March, MD†
Melanie Molina, MD||
Herbet C Duber, MD†
Kelly M Doran, MD#
Michelle P Lin, MD¶
Richelle J Cooper, MD**
Payal Modi, MD*
* † ‡ § || # ¶ **
University of Massachusetts Chan Medical School, Department of Emergency Medicine, Worcester, Massachusetts
University of Washington, Department of Emergency Medicine, Seattle, Washington Virginia Commonwealth University, Department of Emergency Medicine, Richmond, Virginia
University of Oklahoma School of Community Medicine, Department of Emergency Medicine, Tulsa, Oklahoma
University of California, San Francisco, Department of Emergency Medicine, San Francisco, California
NYU School of Medicine, Departments of Emergency Medicine and Population Health, New York, New York
Stanford University School of Medicine, Department of Emergency Medicine, Stanford, California
UCLA School of Medicine, Department of Emergency Medicine, Los Angeles, California
Section Editor: Emily Cleveland Manchanda, MD, MPH
Submission history: Submitted May 2, 2022; Revision received August 22, 2022; Accepted August 17, 2022 Electronically published October 10, 2022 Full text available through open access at http://escholarship.org/uc/uciem_westjem
DOI: 10.5811/westjem.2022.8.57271.
Introduction: The Emergency Department (ED) acts as a safety net for our healthcare system. While studies have shown increased prevalence of social risks and needs among ED patients, there are many outstanding questions about the validity and use of social risks and needs screening tools in the ED setting.
Methods: In this paper, we present research gaps and priorities pertaining to social risks and needs screening tools used in the ED, identified through a consensus approach informed by literature review and external expert feedback as part of the 2021 SAEM Consensus Conference -- From Bedside to Policy: Advancing Social Emergency Medicine and Population Health.
Results: Four overarching research gaps were identified: (1) Defining the purpose and ethical implications of ED-based screening; (2) Identifying domains of social risks and needs; (3) Developing and validating screening tools; and (4) Defining the patient population and type of screening performed. Furthermore, the following research questions were determined to be of highest priority: (1) What screening tools should be used to identify social risks and needs? (2) Should individual EDs use a national standard screening tools or customized screening tools? (3) What are the most prevalent social risks and needs in the ED? and (4) Which social risks and needs are most amenable to intervention in the ED setting?
Conclusion: Answering these research questions will facilitate the use of evidence-based social risks and needs screening tools that address knowledge gaps and improve the health of our communities by better understanding the underlying determinants contributing to their presentation and health outcomes.
[West J Emerg Med. 2022;23(6)817–822.]
The World Health Organization defines social determinants of health (SDoH) as “conditions in which people are born, grow, live, work and age…[which are] shaped by the distribution of money, power and resources at global, national and local levels.”1 The SDoH affect health outcomes,2 health system costs and healthcare utilization for all populations along the spectrum of health and wellbeing.3,4 Some people have used the term “social determinants of health” interchangeably with “social needs” and “social risk factors.” Alderwick and Gottlieb clarified terminology related to SDoH to standardize language and facilitate national discussion of practices related to SDoH in healthcare. Whereas social risk encompasses “specific adverse social conditions that are associated with poor health, such as social isolation or housing instability,” social need also incorporates consideration of patients’ “preferences and priorities” for assistance.4 Social risks and needs focus on the individual, while SDoH take a broader view of the underlying structural and environmental factors contributing to health.4 Identifying individual social risks and needs provides an opportunity to promote interventions to directly address the social risks and needs and their subsequent contribution to health.4
Current literature on screening for social risks and needs focuses primarily on the outpatient clinical setting.5,6 However, the ED offers a unique opportunity to identify individuals with social risks and needs given its role as a safety net in the US healthcare system. Additionally, patients with increased social risks and needs are more apt to use the ED.7-10 An evidenced based screening process for social risks and needs in ED populations is yet to be defined, validated, and widely accepted in routine practice. As a result, we reviewed relevant literature to explore existing ED social risks and needs screening tools, identify gaps in the literature, and propose future research priorities. This work was presented to consensus conference attendees meeting virtually during the April 2021 Society for Academic Emergency Medicine (SAEM) Consensus Conference From Bedside to Policy: Advancing Social Emergency Medicine and Population Health through Research, Collaboration, and Education. The twopart Consensus Conference concluded with a final, revised list of research priorities.
This manuscript is the first of three addressing various aspects of the continuum from screening to interventions for social risks and needs in the ED setting. Here, we review current literature pertaining to the development and validity of instruments used for social risks and needs screening, and present research priorities derived through a consensus process.
The leadership team of the SAEM Consensus Conference session on social risks and needs screening identified three topics for review: 1) instruments used for social risks and needs screening in the ED; (2) implementation of social risks
and needs screening in the ED; and (3) interventions for patients with social risks and needs in the ED.11 Each of these topics was assigned to a workgroup led by two individuals, at least one of whom had significant experience in the field of social risks and needs. Emergency physicians, residents, and medical students were recruited through an open call to join, and subsequently assigned to one of the three research workgroups. The leadership team members supported all three groups. This manuscript addresses the first topic, presenting a review of existing literature for social risk and needs screening instruments and associated consensus-based research priorities.
We conducted a literature review, adapting methodology from a published systematic review on ED patients’ social needs.12 With the assistance of a health sciences librarian, we used a PubMed search strategy (Appendix 1) to identify 2,085 articles across the continuum of social risks and needs screening. Titles and abstracts were screened, resulting in 151 potentially relevant manuscripts. This initial search was complemented with a review of the Social Interventions Research & Evaluation Network (SIREN) Evidence and Resource Library,13 which compiles research on medical and social care integration. This resulted in 22 additional articles for review. Of the 173 total manuscripts identified, 92 were deemed potentially relevant to the topic of instruments used for screening of social risks and needs in the ED. The PubMed and SIREN database searches were conducted in December 2020.
A member of our workgroup reviewed each of these 92 publications, extracting information pertaining to study objective, design, outcomes, results, limitations, and quality into a database. The literature review focused on examining what screening instruments were used, how they were derived and validated, and what content they covered. Finally, the workgroup performed a supplemental literature search of the bibliographic references in the included articles to identify additional relevant studies. Thirteen additional articles were identified and reviewed using the same process described above. We included a total of 105 articles in our final assessment (Figure). Pertinent data was extracted from each manuscript and included in a Microsoft Excel for Mac file, version 16.52 (Microsoft Corporation, Redmond, WA) database.
The workgroup used an iterative consensus process to derive research gaps and draft preliminary research priorities based on the information included in the literature review database. Domains are categories of social risks and needs as described by the US Department of Health and Human Services (HHS).14 They include economic stability, education access and quality, healthcare access and quality, neighborhood and built environment, and social
PubMed keyword search, N= 2,085
Relevant articles, N= 151
Total articles relevant to social needs and risks continuum, N= 173
Excluded articles, N= 1,934
SIREN articles, N= 22
a. If yes, please list them and note why they should be added.
2. Are there any research priorities that you feel should be removed? Yes/No a. If yes, please list them and note why they should be removed.
3. Which research priorities should be discussed further in the April 27 breakout sessions? Why?
4. Please rank the top three research priorities based upon their priority for future research. Please consider the SMART criteria (specific, measurable, attainable, relevant, time-based) when completing this exercise.
Articles related to screening instruments, N= 92
Excluded articles, N= 81
Supplemental articles, N= 13
Total number of instrument related articles included in review, N= 105
Figure. Flow diagram of literature review search results. and community context.14 Within these larger domains are employment, housing, literacy, language, access to healthy food, exposure to violence, and more. We chose this framework of domains to better understand the breadth of literature reviewed on social risks and needs screening. Furthermore, this helped clarify social risks and needs that are understudied in the ED. The workgroup then shared a list of draft research priorities with external experts from the HHS Office of the Assistant Secretary for Planning and Evaluation,15 Health Leads,16 and SIREN.17 Feedback was solicited from these external experts and integrated into a prereading document of preliminary research priorities shared with SAEM Consensus Conference participants.
The Consensus Conference occurred over two virtual meetings via Zoom on April 13 and April 27, 2021, during the SAEM Consensus Conference. Consensus was reached through a stepwise process, beginning with a presentation of methods used in the literature review and process of developing preliminary research priorities. A moderated discussion followed, allowing for all participants to provide verbal feedback. Between the first and second meetings, preliminary research priorities were sent to participants to solicit additional comment and ranking of priorities with an electronic survey that asked conference attendees the following questions:
1. Are there any research priorities that you feel are missing from this list? Yes/No
Our workgroup then incorporated feedback from discussion during the first session and intersession survey, modifying research priorities into a revised list of research priorities. The second Consensus Conference session on April 27 focused on this revised list of priorities, with special attention paid to those that ranked lowest in the intersession survey. Minor changes were made as the group moved toward consensus, resulting in a final list of research priorities. This list was then sent to all Consensus Conference attendees who participated in any part of the ED screening sessions, and they were asked to rank the final priorities list based on the SMART criteria. Research priorities were scored using the following formula:
Total score = 3 x (# of 1st-choice votes) + 2 x (# of 2nd choice votes) + 1 x (# 3rd-choice votes)
This resulted in a final list of ranked research priorities—high, medium, or low priority—based on relative score (top ⅓, middle ⅓, lowest ⅓, respectively). Below, we present research priorities pertaining to social risks and needs screening instruments grouped by key thematic gaps in the literature. See the table for final ranked research priorities pertaining to instruments used for social risks and needs screening in the ED.
The working group reviewed 105 articles pertinent to social risks and needs screening in the ED. A wide range of social risks and needs were addressed in the studies. Some focused on specific social risks and needs while others looked at a general grouping of social risks and needs.18-43 Articles were sorted by general domains from the HHS framework to provide a broad understanding of gaps in specific social needs and risks screening tools.14 Specific aims within various domains included developing ED-specific screening tools, validating screening tools, understanding the accuracy of screening tools, and understanding the prevalence of social risks and needs in a specific ED setting. This initial analysis prompted robust discussion on gaps and priorities related to social risks and needs screening.
Table 1. Final ranked research priorities pertaining to instruments used for social risks and needs screening in the emergency department. Total score is weighted (3 points for priority 1 vote, 2 points for priority 2 vote, and 1 point for priority 3 vote).
Which domains of social risks and needs (eg, housing, interpersonal violence, and food insecurity) are considered most pertinent to social emergency medicine? Which domains of social risks and needs are most prevalent among ED patients, have the largest impact on health, and are most amenable to ED-based screening and interventions?
What screening tools should we be using to screen for social risks and needs in the ED? Is there a benefit to using standardized tools across all EDs nationally? To what extent should EDs customize their own instruments (eg, for various geographic settings)?
Should EDs screen patients for social risks, social needs, or both? What are the ethical boundaries of implementing screening tools in emergency medicine?
What is the impact of language translation on screening tool performances? How do we incorporate community partners, patients, and key stakeholders in developing or modifying existing screening tools?
Do existing screening questions and tools need to be validated in the ED setting, or is it sufficient if they have been validated in other settings? Do screening tools that have been modified for ED use perform similarly to originally validated screening tools?
Are there social risks and needs that should be screened for universally in all ED patients across the country?
Priority 1 Priority 2 Priority 3 Total points Priority
15 7 3 62 High
6 12 7 49 High
6 5 2 30 Medium
3 5 5 24 Medium
0 4 12 20 Medium
4 1 3 17 Low
0 0 2 2 Low ED, emergency department.
What theoretical models (eg, Maslow’s hierarchy of needs) should we apply to better understand domains of social risks and needs?
During the Consensus Conference, conversations about social risks and needs shifted to the ethics of ED-based screening. Participants expressed concern about identifying patients to screen and the potential for stigma associated with it. Additionally, patient perception of screening could impact screening success and the patient-physician relationship. For example, the identification of social risks that patients do not perceive as social needs may be perceived as intrusive if unrelated to patients’ presenting issues. Further understanding of ED patient perception regarding social risks and needs screening is necessary. Participants also discussed the ethical implications of screening for social risks and needs without clear interventions or solutions. For example, screening is necessary to measure the prevalence of social risks and needs in ED populations, which is a prerequisite to obtaining resources and developing new interventions; however, interventions may not yet exist to address identified risks and needs at the time of screening. Consistent language regarding screening purposes and uses may alleviate these concerns and requires further study.
1. Should EDs screen patients for social risks, social needs, or both?
The range and types of social domains screened for varied among studies.18-43 Some literature focused on multiple domains while others looked primarily at a single social risk or need such as food insecurity or intimate partner violence (IPV).18-43 Optimizing social domains is an important step when evaluating ED screening tools. While there is no established set of domains for ED-based social risks and needs screening, examples exist in other screening frameworks. For example, the Accountable Health Communities model, a nationwide screening tool that addresses health-related social risks and needs among Medicare and Medicaid beneficiaries, established five core domains for screening questions: living situation; food; transportation; utilities; and safety.44 Other models, such as the National Association of Community Health Centers Protocol for Responding to and Assessing Patients’ Assets, Risks, and Experiences (PRAPARE), describe core measures informed by SDoH domains, including personal characteristics, family and home, money and resources, social and emotional health, and safety.45
Existing literature on ED screening and screening tools is heavily weighted toward certain domains. There are multiple
2. What are the ethical boundaries of implementing screening tools in the ED?
studies examining IPV, substance use disorder, and mental health in ED populations using validated screening tools.46-54 Additionally, food insecurity and housing/homelessness were commonly screened for in both multi-domain screener studies as well as in isolation.18,23,27,29,34,35,38,39,55-69 Transportation access was included in multi-domain screening; however, it has yet to be studied in isolation.6,20,23,28,33-36,38,41-43 Emergency department screening of violence focused on IPV or domestic violence; there are fewer studies regarding ED screening for elder abuse, child abuse, exposure to violence, or human trafficking.46-54,70-108 Significant gaps in the ED-based literature on social risks and needs were found for domains such as neighborhood conditions and health literacy. There is no consensus in the literature regarding methods or criteria to determine domains of social risks and needs pertinent to ED screening generally or within a specific ED setting. There was discussion in the Consensus Conference about how geographic location may be an important factor in determining which domains are relevant for screening.
1. Which domains of social risks and needs are considered most pertinent to social emergency medicine? (Housing, IPV, food insecurity, etc)
2. What theoretical model (eg, Maslow’s hierarchy of needs) should we apply to better understand domains of social risks and needs?
3. Which domains of social risks and needs are most prevalent among ED patients, have the largest impact on health, and are most amenable to ED-based screening and interventions?
Our literature review noted many screening tools for social risks and needs in the ED population lack robust validation. This is particularly evident for screening tools identifying multiple social risks and needs. The Hunger Vital Sign is validated and widely accepted as a screening tool for food insecurity in the ED.56-57 Other validated screening tools have been employed in screening for domestic violence, substance use, and mental health including anxiety, depression, post-traumatic stress disorder, and stress.46-54,81-108 A brief validated screening tool does not exist for evaluating housing insecurity or multiple social risks and needs. Both topics were common themes in the literature despite the lack of validated screening tools.18-43,63-69 In studies that developed screening tools or developed their own screening questions, internal validation techniques such as cognitive interviews with sample populations were used.18,19,23,24, 38,63,73,79,103 The reliability and validity of these tools for general use in ED populations is unknown.
Further, there are often instances where multiple screening tools exist for the same social risks and needs. For example, the Partner Violence Screen, Revised Conflict Tactic Scale, and AUDIT-C were all used to identify domestic
violence.46-54,81-107 Different instruments for the same risks and needs are rarely compared to one another. This makes comparisons between populations difficult and creates challenges interpreting the utility of interventions based on positive responses to different screening tools.
Consensus Conference participants recognized the importance of rigorous screening tool development and validation. However, many challenges exist to the implementation of such instruments. Rigorous development using cognitive interviews, and internal and external validation is time-consuming and resource intensive. It was agreed that community partners, patients, and other key stakeholders should be engaged in the development of screening tools and questions. This ensures broader buy-in and prevents unintended consequences that may arise from asking highly sensitive questions to vulnerable communities. The literature primarily focused on screening in English-speaking patients. Few studies screened patients using other languages; among the minority that engage non-English speakers, most used Spanish. Extensive gaps exist with regard to language translation and tailoring screening questions by language.23,31,35,40,49,50,61,65,84,106,114,120
Limited studies examined screening tools at multiple EDs or across geographic regions.21,30,34,62,74,99,87,107 Consensus Conference participants advocated for development and validation of standardized screening tools to allow for data collection and comparisons nationally and to advance the field.
1. What screening tools should we be using to screen for social risks and/or social needs in the ED? Is there a benefit to using standardized tools across all EDs nationally? To what extent should EDs customize their own instruments (eg, for various geographic settings)?
2. Do existing screening questions and tools need to be validated in the ED setting, or is it sufficient if they have been validated in other settings? Do screening tools that have been modified for ED use perform similarly to originally validated screening tools?
3. What is the impact of language translation on screening tool performance?
4. How do we incorporate community partners, patients, and key stakeholders in developing or modifying existing screening tools?
Comprehensive screening addresses all social risks and needs, while focused screening only includes certain social risks and needs thought to be relevant to the respective patient population. Both strategies are found in the existing ED literature, but insufficient research exists to determine which approach is most successful and pertinent to the ED.27,30,43,45,46,48-52 The most critical difference between these strategies is the time it takes to perform a more comprehensive
screening. Conference participants proposed using a brief, comprehensive screening strategy to identify social risks and needs pertinent to the specific ED population and to use it for focused screening. However, it was also acknowledged that this may create a false hierarchy of importance among social risks and needs and result in important issues going unaddressed during an ED encounter.
Universal screening is the process of screening all patients within a hospital or health system for social risks and needs, while targeted screening involves approaching only a selected subset of patients based on perceived risk or need (eg, age-based screening for elder abuse). Discussion of who is approached for screening in the ED and what social risks and needs are addressed was prevalent at the Consensus Conference. Proponents for universal screening noted this approach promotes equity and limits implicit bias. However, it was generally acknowledged that time and resource constraints in the ED setting are important considerations.
Research Priorities:
1. Are there social risks and needs that should be screened for universally in all ED patients across the United States?
There is a growing body of research on instruments used for screening for social risks and needs in the ED setting; however, many unanswered questions remain. Key topics include the use of a common language/framework when assessing social risks and needs, as well as establishing a theoretical model to frame the research on screening and intervening for social risks and needs in the ED. Further, defining domains to be included in ED-based screening, developing validated instruments in multiple languages, and clarifying how different instruments can be used and compared to one another will help fill in important gaps in our current knowledge. Expanding research to ensure
the use of validated tools for social risks and needs screening in the ED has the potential to promote data-driven healthcare policy that serves to improve health disparities. Emergency department-based screening represents an opportunity to reach marginalized populations that may not present to other healthcare environments. Research gaps and priorities identified through the consensus process offer direction for future studies to establish validated screening methods and/or best practices for identifying social risks and needs in ED populations.
We would like to thank the Society for Academic Emergency Medicine for its support.
Address for Correspondence: Jacqueline Furbacher, MD, University of Massachusetts Chan Medical School, Department of Emergency Medicine, LA-212, 55 Lake Avenue North, Worcester, Massachusetts 01655. Email: jacqueline.furbacher@ umassmed.edu.
Conflicts of Interest: By the WestJEM article submission agreement, all authors are required to disclose all affiliations, funding sources and financial or management relationships that could be perceived as potential sources of bias. No author has professional or financial relationships with any companies that are relevant to this study. There are no conflicts of interest or sources of funding to declare.
Copyright: © 2022 Furbacher et al. This is an open access article distributed in accordance with the terms of the Creative Commons Attribution (CC BY 4.0) License. See: http://creativecommons.org/ licenses/by/4.0/
Please see supplemental file.
Gregory E. Erhabor, Editor in Cheif 1
Aiah A. Gbakima, Editor-in-Chief 2
Abraham Haileamlak, Editor-in-Chief 3
Jean-Marie Kayembe Ntumba, Chief Editor 4 James Kigera, Editor-in-Chief 5 Laurie Laybourn-Langton 6 Bob Mash, Editor-in-Chief 7 Joy Muhia 8
Fhumulani Mavis Mulaudzi, Editor-in-Chief 9 David Ofori-Adjei, Editor-in-Chief 10 Friday Okonofua, Editor-in-Cheif 11
Section Editor: Mark I. Langdorf, MD, MHPE
1 2 3 4 5 6 7 8 9 10 11
West African Journal of Medicine
Sierra Leone Journal of Biomedical Research Ethiopian Journal of Health Sciences Annales Africaines de Medecine Annals of African Surgery University of Exeter African Journal of Primary Health Care & Family Medicine London School of Medicine and Tropical Hygiene Curationis Ghana Medical Journal African Journal of Reproductive Health Please see additional authors at the end of the article
Submission history: Submitted October 8, 2022; Accepted October 8, 2022
Electronically published October 22, 2022
Full text available through open access at http://escholarship.org/uc/uciem_westjem
DOI: 10.5811/westjem.59258
[West J Emerg Med. 2022;23(6)823–825.]
Wealthy nations must step up support for Africa and vulnerable countries in addressing past, present and future impacts of climate change
The 2022 report of the Intergovernmental Panel on Climate Change (IPCC) paints a dark picture of the future of life on earth, characterised by ecosystem collapse, species extinction, and climate hazards such as heatwaves and floods (1). These are all linked to physical and mental health problems, with direct and indirect consequences of increased morbidity and mortality. To avoid these catastrophic health effects across all regions of the globe, there is broad agreement—as 231 health journals argued together in 2021—that the rise in global temperature must be limited to less than 1.5oC compared with pre-industrial levels.
While the Paris Agreement of 2015 outlines a global action framework that incorporates providing climate finance to developing countries, this support has yet to materialise (2). COP27 is the fifth Conference of the Parties (COP) to be organised in Africa since its inception in 1995. Ahead of this meeting, we—as health journal editors from across the continent—call for urgent action to ensure it is the COP that finally delivers climate justice for Africa and vulnerable countries. This is essential not just for the health of those countries, but for the health of the whole world.
Africa has suffered disproportionately although it has done little to cause the crisis
The climate crisis has had an impact on the environmental and social determinants of health across Africa, leading to devastating health effects (3). Impacts on health can result directly from environmental shocks and indirectly through socially mediated effects (4). Climate change-related risks in Africa include flooding, drought, heatwaves, reduced food production, and reduced labour productivity (5).
Droughts in sub-Saharan Africa have tripled between 1970-79 and 2010-2019 (6). In 2018, devastating cyclones impacted three million people in Malawi, Mozambique and Zimbabwe (6). In west and central Africa, severe flooding resulted in mortality and forced migration from loss of shelter, cultivated land, and livestock (7). Changes in vector ecology brought about by floods and damage to environmental hygiene has led to increases in diseases across sub-Saharan Africa, with rises in malaria, dengue fever, Lassa fever, Rift Valley fever, Lyme disease, Ebola virus, West Nile virus and other infections (8, 9). Rising sea levels reduce water quality, leading to water-borne diseases, including diarrhoeal diseases, a leading cause of mortality in Africa (8). Extreme weather damages water and food supply, increasing food insecurity and
malnutrition, which causes 1.7 million deaths annually in Africa (10). According to the Food and Agriculture Organization of the United Nations, malnutrition has increased by almost 50% since 2012, owing to the central role agriculture plays in African economies (11). Environmental shocks and their knock-on effects also cause severe harm to mental health (12). In all, it is estimated that the climate crisis has destroyed a fifth of the gross domestic product (GDP) of the countries most vulnerable to climate shocks (13).
The damage to Africa should be of supreme concern to all nations. This is partly for moral reasons. It is highly unjust that the most impacted nations have contributed the least to global cumulative emissions, which are driving the climate crisis and its increasingly severe effects. North America and Europe have contributed 62% of carbon dioxide emissions since the Industrial Revolution, whereas Africa has contributed only 3% (14).
The fight against the climate crisis needs all hands on deck
Yet it is not just for moral reasons that all nations should be concerned for Africa. The acute and chronic impacts of the climate crisis create problems like poverty, infectious disease, forced migration, and conflict that spread through globalised systems (6, 15). These knock-on impacts affect all nations. COVID-19 served as a wake-up call to these global dynamics and it is no coincidence that health professionals have been active in identifying and responding to the consequences of growing systemic risks to health. But the lessons of the COVID-19 pandemic should not be limited to pandemic risk (16, 17). Instead, it is imperative that the suffering of frontline nations, including those in Africa, be the core consideration at COP27: in an interconnected world, leaving countries to the mercy of environmental shocks creates instability that has severe consequences for all nations.
The primary focus of climate summits remains to rapidly reduce emissions so that global temperature rises are kept to below 1.5 °C. This will limit the harm. But, for Africa and other vulnerable regions, this harm is already severe. Achieving the promised target of providing $100bn of climate finance a year is now globally critical if we are to forestall the systemic risks of leaving societies in crisis. This can be done by
ensuring these resources focus on increasing resilience to the existing and inevitable future impacts of the climate crisis, as well as on supporting vulnerable nations to reduce their greenhouse gas emissions: a parity of esteem between adaptation and mitigation. These resources should come through grants not loans, and be urgently scaled up before the current review period of 2025. They must put health system resilience at the forefront, as the compounding crises caused by the climate crisis often manifest in acute health problems. Financing adaptation will be more cost-effective than relying on disaster relief.
Some progress has been made on adaptation in Africa and around the world, including early warning systems and infrastructure to defend against extremes. But frontline nations are not compensated for impacts from a crisis they did not cause. This is not only unfair, but also drives the spiral of global destabilisation, as nations pour money into responding to disasters, but can no longer afford to pay for greater resilience or to reduce the root problem through emissions reductions. A financing facility for loss and damage must now be introduced, providing additional resources beyond those given for mitigation and adaptation. This must go beyond the failures of COP26 where the suggestion of such a facility was downgraded to “a dialogue” (18).
The climate crisis is a product of global inaction, and comes at great cost not only to disproportionately impacted African countries, but to the whole world. Africa is united with other frontline regions in urging wealthy nations to finally step up, if for no other reason than that the crises in Africa will sooner rather than later spread and engulf all corners of the globe, by which time it may be too late to effectively respond. If so far they have failed to be persuaded by moral arguments, then hopefully their self-interest will now prevail.
Arash Rashidian, Executive Editor
Eastern Mediterranean Health Journal
Maha El-Adawy, Director of Health Promotion
Eastern Mediterranean Health Journal
Siaka Sidibé, Director of Publication
Mali Médical
Erhabor et al.
Abdelmadjid Snouber, Managing Editor Journal de la Faculté de Médecine d’Oran
James Tumwine, Editor-in-Chief African Health Sciences
Mohammad Sahar Yassien, Editor-in-Chief Evidence-Based Nursing Research
Paul Yonga, Editor-in-Chief East African Medical Journal
Lilia Zakhama, Editor-in-Chief La Tunisie Médicale
Chris Zielinski
University of Winchester
This Comment is being published simultaneously in multiple journals. For the full list of journals see: https://www.bmj.com/ content/full-list-authors-and-signatories-climate-emergencyeditorial-october-2022
Address for Correspondence: Chris Zielinski, University of Winchester, Email: chris.zielinski@ukhealthalliance.org
Conflicts of Interest: By the WestJEM article submission agreement, all authors are required to disclose all affiliations, funding sources and financial or management relationships that could be perceived as potential sources of bias. No author has professional or financial relationships with any companies that are relevant to this study. There are no conflicts of interest or sources of funding to declare.
Copyright: © 2022 Erhabor. This is an open access article distributed in accordance with the terms of the Creative Commons Attribution (CC BY 4.0) License. See: http://creativecommons.org/ licenses/by/4.0/
1. IPCC. Climate Change 2022: Impacts, Adaptation and Vulnerability. Working Group II Contribution to the IPCC Sixth Assessment Report; 2022.
2. UN. The Paris Agreement: United Nations; 2022 [Available from: https://www.un.org/en/climatechange/paris-agreement (accessed 12/9/2022).
3. Climate change and Health in Sub-saharan Africa: The Case of
Uganda. Climate Investment Funds; 2020.
4. WHO. Strengthening Health Resilience to Climate Change 2016.
5. Trisos CH, I.O. Adelekan, E. Totin, A. Ayanlade, J. Efitre, A. Gemeda, et al. Africa. In: Climate Change 2022: Impacts, Adaptation, and Vulnerability. . 2022.
6. Climate Change Adaptation and Economic Transformation in SubSaharan Africa. World Bank; 2021.
7. Opoku SK, Leal Filho W, Hubert F, Adejumo O. Climate Change and Health Preparedness in Africa: Analysing Trends in Six African Countries. Int J Environ Res Public Health. 2021;18(9):4672.
8. Evans M, Munslow B. Climate change, health, and conflict in Africa’s arc of instability. Perspectives in Public Health. 2021;141(6):338-41.
9. S. P. Stawicki, T. J. Papadimos, S. C. Galwankar, A. C. Miller, Firstenberg MS. Reflections on Climate Change and Public Health in Africa in an Era of Global Pandemic. Contemporary Developments and Perspectives in International Health Security. 2: Intechopen; 2021.
10. Climate change and Health in Africa: Issues and Options: African Climate Policy Centre 2013 [Available from: https://archive.uneca.org/ sites/default/files/PublicationFiles/policy_brief_12_climate_change_ and_health_in_africa_issues_and_options.pdf (accessed 12/9/2022).
11. Climate change is an increasing threat to Africa2020. Available from: https://unfccc.int/news/climate-change-is-an-increasing-threat-toafrica (accessed 12/9/2022).
12. Atwoli L, Muhia J, Merali Z. Mental health and climate change in Africa. BJPsych International. 2022:1-4.
13. Climate Vulnerable Economies Loss report. Switzerland: Vulnerable twenty group; 2020.
14. Ritchie H. Who has contributed most to global CO2 emissions? Our World in Data. https://ourworldindata.org/contributed-most-global-co2 (accessed 12/9/2022).
15. Bilotta N, Botti F. Paving the Way for Greener Central Banks. Current Trends and Future Developments around the Globe. Rome: Edizioni Nuova Cultura for Istituto Affari Internazionali (IAI); 2022.
16. WHO. COP26 special report on climate change and health: the health argument for climate action. . Geneva: World Health Organization; 2021.
17. Al-Mandhari A; Al-Yousfi A; Malkawi M; El-Adawy M. “Our planet, our health”: saving lives, promoting health and attaining well-being by protecting the planet – the Eastern Mediterranean perspectives. East Mediterr Health J. 2022;28(4):247−248. https://doi. org/10.26719/2022.28.4.247
18. Simon Evans, Josh Gabbatiss, Robert McSweeney, Aruna Chandrasekhar, Ayesha Tandon, Giuliana Viglione, et al. COP26: Key outcomes agreed at the UN climate talks in Glasgow. Carbon Brief [Internet]. 2021. Available from: https://www.carbonbrief.org/cop26key-outcomes-agreed-at-the-un-climate-talks-in-glasgow/ (accessed 12/9/2022).
Volume 23, no. 6: November 2022 825 Western Journal of Emergency Medicine
Angela F. Jarman, MD, MPH*
Alexander C. Hwang, MD*†
Julia P. Schleimer, MPH‡§
Roderick W. Fontenette, MD, MHCM, CPE*†
Bryn E. Mumma, MD, MAS*
Section Editor: Tony Zitek, MD
* † ‡ §
University of California, Davis School of Medicine, Department of Emergency Medicine, Davis, California David Grant Medical Center, Travis Air Force Base, Fairfield, California University of California, Davis School of Medicine, Violence Prevention Research Program, Department of Emergency Medicine, Davis, California University of California, Davis, University of California Firearm Violence Research Center, Davis, California
Submission history: Submitted December 28, 2021; Revision received August 25, 2022; Accepted August 26, 2022 Electronically published October 24, 2022 Full text available through open access at http://escholarship.org/uc/uciem_westjem DOI: 10.5811/westjem.2022.8.55750
Introduction: Racial disparities in pain management have been reported among emergency department (ED) patients. In this study we evaluated the association between patients’ self-identified race/ethnicity and the administration of opioid analgesia among ED patients with abdominal pain, the most common chief complaint for ED presentations in the United States.
Methods: This was a retrospective cohort study of adult (age ≥18 years) patients who presented to the ED of a single center with abdominal pain from January 1, 2019–December 31, 2020. We collected demographic and clinical information, including patients’ race and ethnicity, from the electronic health record. The primary outcome was the ED administration of any opioid analgesic (binary). Secondary outcomes included the administration of non-opioid analgesia (binary) and administration of any analgesia (binary). We used logistic regression models to estimate odds ratios (OR) of the association between a patient’s race/ethnicity and analgesia administration. Covariates included age, sex, initial pain score, Emergency Severity Index, and ED visits in the prior 30 days. Subgroup analyses were performed in non-pregnant patients, those who underwent any imaging study, were admitted to the hospital, and who underwent surgery within 24 hours of ED arrival.
Results: We studied 7,367 patients: 45% (3,314) were non-Hispanic (NH) White; 28% (2,092) were Hispanic/Latinx; 19% (1,384) were NH Black, and 8% (577) were Asian. Overall, 44% (3,207) of patients received opioid analgesia. In multivariable regression models, non-White patients were less likely to receive opioid analgesia compared with White patients (OR 0.73, 95% CI 0.65-0.83 for Hispanic/ Latinx patients; OR 0.62, 95% CI 0.54-0.72 for Black patients; and OR 0.64, 95% CI 0.52-0.78 for Asian patients). Black patients were also less likely to receive non-opioid analgesia, and Black and Hispanic/ Latinx patients were less likely than White patients to receive any analgesia. The associations were similar across subgroups; however, the association was attenuated among patients who underwent surgery within 24 hours of ED arrival.
Conclusion: Hispanic/Latinx, Black, and Asian patients were significantly less likely to receive opioid analgesia than White patients when presenting to the ED with abdominal pain. Black patients were also less likely than White patients to receive non-opioid analgesia.
[West J Emerg Med. 2022;23(6)826–831.]
Abdominal pain is the most common presenting complaint in emergency departments (ED) in the United States, accounting for 12% of all visits.1,2 Despite historical precedent for withholding opioid analgesia in abdominal pain, opioids are currently considered standard of care in moderate and severe acute abdominal pain.3,4 Opioid analgesia decreases pain without affecting diagnostic accuracy and improves patient satisfaction.5-8 Most ED patients with abdominal pain receive analgesia, although the type, amount, and route are not standardized.9
Racial disparities in the treatment of pain have been found across the continuum of healthcare,10 from the prehospital setting11,12 to postoperative care.13 While data on analgesia administration in the ED is mixed, racial disparities have been reported for several painful conditions.14 A recent meta-analysis, which included studies of analgesia in EDs for long-bone fracture, back pain, musculoskeletal pain, and trauma, found that non-White patients were less likely than White patients to receive any analgesia and specifically opioid analgesia.15
The limited available evidence suggests that racial disparities extend to the management of acute, undifferentiated abdominal pain in the adult ED population. However, this data is greater than 10 years old and often does not consider ethnicity or differentiate between non-White racial groups.16,17 To evaluate whether this disparity persists in the contemporary ED and whether it affects patients of other non-White race/ ethnicities, we evaluated opioid analgesia use for nonHispanic (NH) White, Hispanic/Latinx, NH Black, and Asian patients who presented to the ED with abdominal pain. We hypothesized that disparities previously demonstrated in abdominal pain and other painful conditions would persist among the adult ED population with acute abdominal pain and extend to patients of other minoritized races/ethnicities.
We conducted a retrospective cohort study from January 1, 2019–December 31, 2020, at a single academic, tertiary care medical center ED with approximately 65,000 adult ED visits annually. This study was reviewed and approved by the local institutional review board.
We included adult (age ≥18 years) patients who presented to the ED with a chief complaint of abdominal, flank, or pelvic pain; had a normal mental status (defined as an initial Glasgow Coma Scale of 15); had a race and ethnicity of NH White, NH Black, Asian, or Hispanic/Latinx. Patients of all other races and ethnicities and those with missing race data were excluded. We also excluded patients who were not evaluated by an emergency physician (defined as an ED disposition of triaged in error, left without being seen, or straight to labor and delivery); those who
Racial Disparities in Opioid Analgesia AdministrationWhat do we already know about this issue?
Racial disparities in pain management have been reported across the healthcare continuum, from the prehospital arena to the perioperative setting, including the Emergency Department.
What was the research question? Do previously demonstrated disparities in analgesia extend to the contemporary adult ED population with acute abdominal pain?
What was the major finding of the study? When presenting to the ED with abdominal pain, non-white patients are 27 - 38% less likely to receive opioid analgesia than white patients.
How does this improve population health? Racial disparities in analgesia are pervasive and persistent. It must be a research priority to develop and validate interventions aimed at achieving racial and ethnic health equity.
eloped or left against medical advice within one hour of being roomed; and those with acute psychiatric emergencies (see Figure S1). If a patient had multiple qualifying ED encounters during the study period, we included only their first encounter.
Demographic and clinical data were directly exported from the electronic health record (EHR) by a trained data analyst. Data included age, sex, race and ethnicity (selfreported), Emergency Severity Index (ESI), initial pain score, a record of ED encounters within the prior 30 days for abdominal pain, opioid analgesia administration, non-opioid analgesia administration, ED imaging, pregnancy status, ED disposition, and surgery within 24 hours of ED arrival. The ESI is a score from 1 to 5 based on acuity and resource needs.18 If nursing documentation indicated that the patient denied pain and a pain score was not documented, a score of 0 was assigned. A random subset of 60 records were manually reviewed by the research team (AJ, BM, AW) to refine and validate the accuracy of all data fields. We did not find any errors in the extracted data. No data were manually abstracted.
We followed guidelines from the US Centers for Disease Control and Prevention to classify patients’ self-identified race and ethnicity into the following categories: Non-Hispanic
White (“White”), Non-Hispanic Black (“Black”), Non-Hispanic Asian (“Asian”), or Hispanic/Latinx.19,20 Opioid analgesia was defined as any medication that contained an opioid alone or in combination. Non-opioid analgesia was defined as any medication with an approved indication for pain without any opioid component. For both opioid and non-opioid analgesia, all routes of administration were included. Table S2 contains the list of analgesics included in the study. Imaging in the ED included plain radiograph, ultrasound, magnetic resonance imaging, and computed tomography of the abdomen or pelvis.
The primary study outcome was the administration of any opioid analgesia during the ED visit. Secondary outcomes included the administration of non-opioid analgesia and any analgesia. We conducted subanalyses among non-pregnant patients, patients who underwent ED imaging, those who were admitted to the hospital, and those who underwent surgery within 24 hours of arrival to the ED. Patients were included in the admission cohort if they were admitted to inpatient or observation status.
We used descriptive statistics to characterize the study population. We then estimated the unadjusted and covariateadjusted relationships between administration of opioid analgesia, non-opioid analgesia, and any analgesia with patient race/ethnicity using logistic regression (White race as the referent). The multivariable model included age, sex, ESI, initial pain score, and any ED encounter in the preceding 30 days. We selected these independent variables a priori based on published literature.15 Separate models were conducted for each subgroup described above. We performed analyses in Stata version 15.1 (StataCorp, LLC, College Station, TX).21 Statistical significance was assessed with α = 0.05 (2-sided). We did not adjust for multiple comparisons.
A total of 13,841 encounters were considered for inclusion. Of these, 7,367 unique patients met inclusion criteria (Figure S1). A plurality were White (n = 3,314, 45.0%); 28.4% were Hispanic/Latinx (n = 2,092), 18.8% were Black (n = 1,384), and 7.8% were Asian (n = 577). Over half (n = 4,194, 56.9%) were female, and the median age was 47 years (25th-75th, 32-62 years). During the study period, 3,207 (43.5%) patients received an opioid during their ED encounter; 3,611 (49.0%) received non-opioid analgesia; and 5,095 (69.2%) received any analgesia (Table 1).
In multivariable logistic regression models, non-White patients were less likely than White patients to receive
Table 1. Patient characteristics: emergency department index encounter.a
Characteristic Patients, N (%) (N = 7,367) Race/Ethnicity
Asian
577 (7.8) Black 1,384 (18.8) Hispanic/Latinx 2,092 (28.4) White 3,314 (45.0)
Sex
Female
4,194 (56.9) Male 3,172 (43.1) Nonbinary 1 (0.01)
Age, yearsb 47 (32-62)
Acuity level (Emergency Severity Index)
1 - Resuscitation
19 (0.3)
2 – Crisis 2,414 (32.8)
3 - Emergent 4,761 (64.6)
4 – Urgent 172 (2.3)
5 - Non-urgent 1 (0.01)
First pain scoreb,c 8 (6-9)
ED encounter in prior 30 days 150 (2.0)
Opioid analgesia administered 3,207 (43.5) Non-opioid analgesia administered 3,611 (49.0)
Any analgesia administered 5,095 (69.2)
Time to first opioid analgesia administered, hoursb,d 2.8 (1.5-5.2)
Time to first non-opioid analgesia administered, hoursb,d 3.6 (1.9-6.3)
Time to first any analgesia administered, hoursb,d 2.7 (1.5-4.8)
Pregnant 71 (1.0) Underwent any imaging study 5,004 (67.9) Admitted to the hospital 2,133 (29.0) Surgery within 24 hours of ED arrival 362 (4.9)
ED, emergency department. aFirst qualifying encounter per patient during the study period. bData presented as median (25th-75th percentile). c342 patients missing pain score. dAmong patients administered that type of analgesia.
opioids: odds ratio (OR) 0.73, 95% confidence interval (CI) 0.65-0.83 for Hispanic/Latinx patients; OR 0.62, 95% CI 0.540.72 for Black patients; and OR 0.64, 95% CI 0.52-0.78 for Asian patients (Table 2). Black (OR 0.73, 95% CI 0.62-0.85) and Hispanic/Latinx (OR 0.86, 95% CI 0.75-0.99) patients were less likely to receive any analgesia, but Black patients were the only group to receive non-opioid analgesia less often than White patients (OR 0.85, 95% CI 0.74-0.97).
Table 2. Unadjusted and adjusted association of patient race/ethnicity and analgesia administration with subgroup analyses. Opioid Any analgesia Non-opioid analgesia
OR (95% CI) aOR* (95% CI) OR (95% CI) aOR* (95% CI) OR (95% CI) aOR* (95% CI)
Race/Ethnicity
Full sample (N = 7,367a)
Asian 0.77 (0.64, 0.92) 0.64 (0.52, 0.78) 1.10 (0.91, 1.34) 0.97 (0.78, 1.21) 1.11 (0.93, 1.33) 1.05 (0.87, 1.26) Black 0.79 (0.70, 0.90) 0.62 (0.54, 0.72) 0.97 (0.85, 1.11) 0.73 (0.62, 0.85) 1.02 (0.90, 1.16) 0.85 (0.74, 0.97) Hispanic/Latinx 0.89 (0.80, 1.00) 0.73 (0.65, 0.83) 1.15 (1.02, 1.29) 0.86 (0.75, 0.99) 1.26 (1.13, 1.40) 1.03 (0.92, 1.16) White Ref. Ref. Ref. Ref. Ref. Ref. Non-pregnant patients (n = 7,296a)
Asian 0.78 (0.65, 0.93) 0.64 (0.53, 0.78) 1.10 (0.90, 1.33) 0.96 (0.77, 1.19) 1.10 (0.92, 1.32) 1.04 (0.86, 1.25) Black 0.80 (0.71, 0.91) 0.63 (0.54, 0.72) 1.00 (0.87, 1.14) 0.74 (0.63, 0.86) 1.04 (0.91, 1.17) 0.85 (0.74, 0.98) Hispanic/Latino 0.90 (0.81, 1.01) 0.74 (0.65, 0.83) 1.16 (1.03, 1.31) 0.87 (0.76, 1.00) 1.26 (1.13, 1.40) 1.03 (0.92, 1.16) White Ref. Ref. Ref. Ref. Ref. Ref.
Patients who underwent any imaging study (n = 5,004a)
Asian 0.78 (0.63, 0.96) 0.64 (0.51, 0.80) 1.02 (0.80, 1.30) 0.86 (0.66, 1.13) 1.03 (0.83, 1.26) 0.98 (0.79, 1.21) Black 0.99 (0.84, 1.17) 0.69 (0.58, 0.83) 1.39 (1.14, 1.71) 0.93 (0.74, 1.16) 1.20 (1.02, 1.41) 0.98 (0.83, 1.16) Hispanic/Latinx 0.95 (0.83, 1.08) 0.69 (0.60, 0.80) 1.29 (1.10, 1.51) 0.86 (0.72, 1.03) 1.33 (1.17, 1.52) 1.09 (0.95, 1.26) White Ref. Ref. Ref. Ref. Ref. Ref.
Patients admitted to the hospital (n = 2,133a)
Asian 0.73 (0.53, 1.00) 0.64 (0.45, 0.92) 0.84 (0.58, 1.23) 0.71 (0.46, 1.08) 0.69 (0.50, 0.94) 0.63 (0.46, 0.87) Black 1.19 (0.90, 1.57) 0.71 (0.52, 0.97) 1.12 (0.80, 1.56) 0.63 (0.43, 0.92) 0.92 (0.71, 1.19) 0.75 (0.58, 0.99) Hispanic/Latino 1.28 (1.03, 1.60) 0.76 (0.59, 0.99) 1.17 (0.89, 1.53) 0.65 (0.47, 0.89) 1.08 (0.89, 1.33) 0.91 (0.73, 1.13) White Ref. Ref. Ref. Ref. Ref. Ref.
Patients who underwent surgery within 24 hours of ED arrival (n = 362a)
Asian 1.02 (0.46, 2.27) 0.92 (0.36, 2.04) 1.13 (0.41, 3.17) 0.92 (0.30, 2.83) 0.74 (0.36, 1.52) 0.70 (0.34, 1.46) Black 1.18 (0.54, 2.58) 0.55 (0.22, 1.40) 1.65 (0.54, 4.99) 0.89 (0.25, 3.13) 0.92 (0.46, 1.82) 0.79 (0.38, 1.61) Hispanic/Latino 0.94 (0.55, 1.59) 0.48 (0.25, 0.95) 1.19 (0.60, 2.38) 0.57 (0.25, 1.31) 1.10 (0.68, 1.79) 0.90 (0.53, 1.53) White Ref. Ref. Ref. Ref. Ref. Ref. OR, odds ratio; aOR, adjusted odds ratio; CI, confidence interval. *Adjusted for age, sex, acuity, initial pain score, and any ED encounter in prior 30 days.
Results were similar across subgroups. The association was attenuated, however, among patients who underwent surgery within 24 hours of ED arrival (Table 2). Within this subgroup only Hispanic/Latinx patients were less likely to receive opioid analgesia.
Our study found persistent racial/ethnic disparities in the administration of opioid analgesia to ED patients with acute abdominal pain. This finding aligns with a body of work documenting oligoanalgesia for patients of color in a number of painful conditions, including long-bone fracture and trauma.15
It also confirms and expands the prior work of Mills et al, despite differences in cohort composition with regard to race (45% White in our study vs 23% White in Mills et al), which found that non-White patients were less likely to receive any analgesia and waited longer to receive it. Their study included patients with abdominal pain or back pain but did not differentiate between non-White races. Our study expands this work by showing that patients who identify as Asian and Hispanic/LatinX are also vulnerable to disparities in analgesia administration.16 Our results also align with those from a cohort with acute abdominal pain from the National Hospital Ambulatory Care Medical Care Survey in which Black, Hispanic, and “other” race/ethnicities had lower adjusted odds of opioid analgesia receipt.17 Our study is the first to find that Black patients were less likely to receive non-opioid analgesia specifically, as well as opioid analgesia, suggesting particular disparities in undertreated pain in this group.
Prior studies did not differentiate non-opioid analgesia; our study found no difference in non-opioid analgesia for Hispanic/Latinx and Asian patients relative to White patients, but lower odds of non-opioid analgesia for Black relative to White patients. While this may reflect specific anti-Black biases that are not applied to other minoritized groups, this disparity was not seen in other subanalyses, for example among patients who underwent imaging studies. Importantly, though, we found disparities in type of analgesia provided, with non-White patients being less likely to receive the recommended opioid analgesia for acute abdominal pain, and pervasive disparities in all types of analgesia administration for Black patients. While our site has a robust diversity, equity, and inclusion curriculum for trainees, faculty, and staff intended to eliminate disparities in care, the results of the current study suggest that additional interventions are needed.
While there is a dearth of literature on interventions to address race-based disparities in care, the use of standardized and evidence-based protocols may reduce clinician biases and improve care for minoritized groups. In one study, a checklist that standardized care for ST-segment elevation myocardial infarction (STEMI) resolved gender-based disparities in time to cardiac catheterization and administration of goal-directed medical therapy.22 A recent study found that adherence to evidence-based guidelines (eg, stroke, STEMI, sepsis) did not vary by patient race/ethnicity and sex. We posit that establishing monitored criteria may be a useful tool in reducing race-based health disparities and minimizing the impact of implicit bias.23 Leaders in emergency medicine have recommended the development of specialized quality metrics that specifically include measures of health disparities.24
Our study’s primary limitations are those inherent to its retrospective design and the inability to control for unmeasured confounders retrospectively. However, we took multiple measures to mitigate potential confounding variables.
While we expanded race/ethnicity categories beyond prior studies, we limited to four categories and, thus, were unable to account for heterogeneity within groups; patients of mixed race were also excluded but represented fewer than 10% of eligible patients. Our findings may have limited generalizability, as this was a single-center study. However, they are consistent with prior studies, including those from national datasets, suggesting these disparities are widespread and not due to local practice patterns.
Asian, Black, and Hispanic/Latinx patients were significantly less likely to receive opioid analgesia for their acute abdominal pain compared with White patients, even when controlled for potential confounders. Black patients were also less likely to receive non-opioid analgesia. Black and Hispanic/Latinx patients were less likely to receive any analgesia. To eliminate disparities in analgesia administration, emergency medicine must prioritize research into the impact of interventions to mitigate race/ethnicity-based inequities in emergency analgesia.
We would like to thank and acknowledge Dr. Nathan Kuppermann and the Committee on Anti-Racism, Patient Equity, Diversity & Inclusion in Emergency Medicine at UC Davis.
Address for Correspondence: Angela F. Jarman, MD, MPH, University of California, Davis School of Medicine, Department of Emergency Medicine, 4150 V St, St 2100, Sacramento, CA 95817. Email: afjarman@ucdavis.edu.
Conflicts of Interest: By the WestJEM article submission agreement, all authors are required to disclose all affiliations, funding sources and financial or management relationships that could be perceived as potential sources of bias. No author has professional or financial relationships with any companies that are relevant to this study. There are no conflicts of interest or sources of funding to declare.
Copyright: © 2022 Jarman et al. This is an open access article distributed in accordance with the terms of the Creative Commons Attribution (CC BY 4.0) License. See: http://creativecommons.org/ licenses/by/4.0/
1. Hooker EA, Mallow PJ, Oglesby MM. Characteristics and trends of emergency department visits in the United States (2010-2014). J Emerg Med. Mar 2019;56(3):344-51.
2. Cairns C, Kang K, Santo L. National Hospital Ambulatory Medical Care Survey: 2018 emergency department summary tables. 2018. Available at: https://www.cdc.gov/nchs/data/nhamcs/web_ tables/2018-ed-web-tables-508.pdf. Accessed December 20, 2021.
3. Falch C, Vicente D, Haberle H, et al. Treatment of acute abdominal
pain in the emergency room: a systematic review of the literature. Eur J Pain. 2014;18(7):902-13.
4. Manterola C, Vial M, Moraga J, et al. Analgesia in patients with acute abdominal pain. Cochrane Database Syst Rev. 2011;(1):CD005660.
5. Brown T, Shetty A, Zhao DF, et al. Association between pain control and patient satisfaction outcomes in the emergency department setting. Emerg Med Australas. 2018;30(4):523-9.
6. Thomas SH. Management of pain in the emergency department, Int Sch Res Notices. 2013.
7. Thomas SH, Silen W, Cheema F, et al. Effects of morphine analgesia on diagnostic accuracy in emergency department patients with abdominal pain: a prospective, randomized trial. J Am Coll Surg 2003;196(1):18-31.
8. Fosnocht DE, Swanson ER, Barton ED. Changing attitudes about pain and pain control in emergency medicine. Emerg Med Clin North Am. 2005;23(2):297-306.
9. Shabbir J, Ridgway PF, Lynch K, et al. Administration of analgesia for acute abdominal pain sufferers in the accident and emergency setting. Eur J Emerg Med. 2004;11(6):309-12.
10. Cintron A, Morrison RS. Pain and ethnicity in the United States: a systematic review. J Palliat Med. 2006;9(6):1454-73.
11. Infinger AE, Studnek JR. An assessment of pain management among patients presenting to emergency medical services after suffering a fall. Prehosp Disaster Med. 2014;29(4):344-9.
12. Young MF, Hern HG, Alter HJ, et al. Racial differences in receiving morphine among prehospital patients with blunt trauma. J Emerg Med. 2013;45(1):46-52.
13. Green CR, Anderson KO, Baker TA, et al. The unequal burden of pain: confronting racial and ethnic disparities in pain. Pain Med 2003;4(3):277-94.
14. Dickason RM, Chauhan V, Mor A, et al. Racial differences in opiate administration for pain relief at an academic emergency department. West J Emerg Med. 2015;16(3):372-80.
15. Lee P, Le Saux M, Siegel R, et al. Racial and ethnic disparities in the management of acute pain in US emergency departments: metaanalysis and systematic review. Am J Emerg Med. 2019;37(9):1770-7.
16. Mills AM, Shofer FS, Boulis AK, et al. Racial disparity in analgesic treatment for ED patients with abdominal or back pain. Am J Emerg Med. 2011;29(7):752-6.
17. Shah AA, Zogg CK, Zafar SN, et al. Analgesic access for acute abdominal pain in the emergency department among racial/ ethnic minority patients: a nationwide examination. Med Care 2015;53(12):1000-9.
18. Gilboy N, Tanabe P, Travers D. Emergency Severity Index (ESI): a triage tool for emergency department care. Available at: https:// media.emscimprovement.center/documents/ESI_Handbook2125.pdf . Accessed December 20, 2021.
19. Centers for Disease Control and Prevention. Race and Ethnicity Code Set Version 1.0. 2000. Available at: https://www.cdc.gov/phin/ resources/vocabulary/documents/CDC-Race-Ethnicity-Backgroundand-Purpose.pdf. Accessed December 20, 2021.
20. Office of Management and Budget. Revisions to the Standards for the Classification of Federal Data on Race and Ethnicity. 1997. Available at: https://obamawhitehouse.archives.gov/omb/ fedreg_1997standards. Accessed December 20, 2021.
21. StataCorp. Stata Statistical Software: Release 15. College Station, TX: StataCorp LLC.
22. Huded CP, Johnson M, Kravitz K, et al. 4-step protocol for disparities in STEMI care and outcomes in women. J Am Coll Cardiol. 15 2018;71(19):2122-32.
23. Trent SA, George N, Havranek EP, et al. Established evidence-based treatment guidelines help mitigate disparities in quality of emergency care. Acad Emerg Med. 2021;28(9):1051-60.
24. Landry AM, Brown I, Blomkalns AL, et al. The role of an academic emergency department in advancing equity and justice. Acad Emerg Med. 2021;28(9):1087-90.
Dean-An Ling, MD* Chih-Wei Sung, MD‡ Cheng-Chung Fang, MD*† Chia-Hsin Ko, BS* Eric H. Chou, MD§ Jeffrey Herrala, MD¶ Tsung-Chien Lu, MD, PhD*† Chien-Hua Huang, MD, PhD*† Chu-Lin Tsai, MD, ScD*†
Section Editor: Gary Johnson, MD
* † ‡ § ¶
National Taiwan University Hospital, Department of Emergency Medicine, Taipei, Taiwan College of Medicine, National Taiwan University, Department of Emergency Medicine, Taipei, Taiwan
National Taiwan University Hospital Hsin-Chu Branch, Department of Emergency Medicine, Hsinchu, Taiwan
Baylor Scott and White All Saints Medical Center, Department of Emergency Medicine, Fort Worth, Texas
Highland Hospital-Alameda Health System, Department of Emergency Medicine, Oakland, California
Submission history: Submitted April 4, 2022; Revision received August 3, 2022; Accepted July 22, 2022 Electronically published October 18, 2022 Full text available through open access at http://escholarship.org/uc/uciem_westjem
DOI: 10.5811/westjem.2022.7.57028
Introduction: Although factors related to a return visit to the emergency department (ED) have been reported, only a few studies have examined “high-risk” ED revisits with serious adverse outcomes. In this study we aimed to describe the incidence and trend of high-risk ED revisits in United States EDs and to investigate factors associated with these revisits.
Methods: We obtained data from the National Hospital Ambulatory Medical Care Survey (NHAMCS), 2010–2018. Adult ED revisits within 72 hours of a previous discharge were identified using a mark on the patient record form. We defined high-risk revisits as revisits with serious adverse outcomes, including intensive care unit admissions, emergency surgery, cardiac catheterization, or cardiopulmonary resuscitation (CPR) during the return visit. We performed analyses using descriptive statistics and multivariable logistic regression, accounting for NHAMCS’s complex survey design.
Results: Over the nine-year study period, there were an estimated 37,700,000 revisits, and the proportion of revisits in the entire ED population decreased slightly from 5.1% in 2010 to 4.5% in 2018 (P for trend = 0.02). By contrast, there were an estimated 827,000 high-risk ED revisits, and the proportion of high-risk revisits in the entire ED population remained stable at approximately 0.1%. The mean age of these high-risk revisit patients was 57 years, and 43% were men. Approximately 6% of the patients were intubated, and 13% received CPR. Most of them were hospitalized, and 2% died in the ED. Multivariable analysis showed that older age (65+ years), Hispanic ethnicity, daytime visits, and arrival by ambulance during the revisit were independent predictors of high-risk revisits.
Conclusion: High-risk revisits accounted for a relatively small fraction (0.1%) of ED visits. Over the period of the NHAMCS survey between 2010-2018, this fraction remained stable. We identified factors during the return visit that could be used to label high-risk revisits for timely intervention. [West J Emerg Med. 2022;23(6)832–840.]
Unscheduled revisits are often inevitable in the emergency department (ED) and pose a significant burden on patients
and clinicians. The causes of an unscheduled revisit could be grouped into several dimensions: they could be associated with patient preference, illnesses, systems of care, and
clinicians.1 Of these dimensions, patient- or illness-related factors (eg, patients’ preference for treatment venue or natural disease progression) account for most revisits, whereas only 5-10% of unscheduled revisits are associated with suboptimal quality of initial emergency care.2–5 Given the diverse causes associated with revisits, the use of revisit rate as an indicator of quality has been debated.6
For quality assessment, outcomes after revisit have been proposed as alternative quality metrics, including unscheduled ED revisits resulting in hospitalization.6 Risk factors for hospitalization after an ED revisit have also been described. Age, illness severity, initial presenting symptoms, and clinician experience have all been associated with hospitalization at revisit.7,8 Recent studies have examined the subsequent inpatient outcomes to evaluate the validity of this alternative quality metric. Compared with ED patients hospitalized directly at the index visit, those who are hospitalized during ED revisits actually had a lower intensive care unit (ICU) transfer rate and cost during the hospital stay.9,10 Similar results were also reported among pediatric patients.11 One study reported that most hospitalizations after an ED revisit are illness-related.12 Taken together, hospitalization after an ED revisit may not imply a care delay or poor quality care during the initial ED visit.
Another promising quality metric would be the incidence and factors associated with high-risk revisits. A small proportion of patients who return to the ED have serious adverse outcomes, such as ICU admission, emergent surgery or intervention, or even cardiac arrest. Studies have highlighted factors that are clinician-related. Timing of the initial ED visit, shorter initial ED management time, presenting symptoms, and certain diagnoses were proposed as likely reasons for revisits with serious adverse outcomes.13–15 A proportion of these high-risk revisits may hence be avoidable. Most high-risk revisit studies are case series, lacking a comparison group for more robust inferences. Understanding factors associated with high-risk return visits to the ED may help in timely recognition and early interventions to prevent serious adverse events.
Using a US nationally representative sample we aimed to describe the incidence and trends of high- risk return ED visits and to investigate factors associated with these revisits.
The National Hospital Ambulatory Medical Care Survey (NHAMCS) is a cross-sectional, multistage probability sample of visits to non-institutional general and shortstay hospitals, excluding federal, military, and Veterans Administration hospitals, located in the 50 states and the District of Columbia.16 The NHAMCS is conducted annually by the National Center for Health Statistics (NCHS). It covers geographic primary sampling units, hospitals within primary sampling units, EDs within hospitals, and patients
What do we already know about this issue?
Although factors related to a return visit to the ED have been reported, only a few studies have examined “high-risk” ED revisits with serious adverse outcomes.
What was the research question? We sought to investigate the incidence/trends of high-risk ED revisits and factors associated with these revisits.
What was the major finding of the study?
High-risk revisits accounted for 0.1% of the ED visits, and this fraction remained stable between 2010-2018.
How does this improve population health?
Albeit rare, catastrophic high-risk revisits should be prevented. We identified factors that could be used to label these revisits for timely intervention.
within EDs. The number of EDs sampled is approximately 300–400 per year. Trained ED staff collected clinical information during a randomly assigned four-week period for each of the sampled EDs using a structured patient record form (PRF). Data included patient demographics, reason for the visit, diagnosis, procedures, medications given at the visit, and the basic characteristics of the treating physician and hospital. Quality control was performed using a twoway independent verification procedure for a 10% sample of the records. The non-response rate for most items was <5%. The coding error rates were <2%.17 Because the NHAMCS contains publicly available, de-identified data, the National Taiwan University Hospital Institutional Review Board exempted this study from review.
We used NHAMCS data from 2010-2018 in this analysis. First, we excluded ED visits made by patients aged <18 years. The PRF contained a revisit variable “seen72,” which indicated whether the patient had been seen in that ED in the prior 72 hours. We further excluded patient visits missing this information. We then divided the study population into the “revisit” and “non-revisit” groups. In the revisit group, we defined high-risk revisits as those by patients with serious adverse outcomes, including ICU admissions, and those who received emergency surgery, cardiac catheterization, or cardiopulmonary resuscitation (CPR) during the return visit.
To maintain consistency across years, we recoded race/ ethnicity as non-Hispanic White, non-Hispanic Black, Hispanic, and other. Insurance was recoded as private, Medicare, Medicaid or other state-based programs, selfpay, and other. The US regions represented standardized geographical divisions, as defined by the US Census Bureau (Northeast, Midwest, South, and West).18 Up to five reasons for each ED visit were coded using the “Reason for Visit Classification for Ambulatory Care,” a standardized sourcebook used in NCHS studies.19 We ascertained chronic comorbid conditions based on the PRF, including diabetes mellitus, hypertension, coronary artery disease, and cancer. Data on disease severity/urgency included triage levels, vital signs at triage, and pain scores. Several procedures were documented on the PRF, including CPR and endotracheal intubation. Imaging performed in the ED was also recorded, including computed tomography (CT) and magnetic resonance imaging (MRI). Visit disposition was recorded for each ED visit, including admission to the operating room, cardiac catheterization lab, or ICU. For ED visits resulting in hospitalizations, we recorded inpatient mortality, and hospital length of stay (LOS).
The primary outcome measure was the high-risk revisit rate in the ED, which was calculated as the number of high-risk revisits divided by the total number of adult ED visits. The coprimary outcome measure was the overall ED revisit rate.
We used Stata 16.0 (StataCorp, College Station, TX) to adjust the variances for the NHAMCS estimates to account for the complex design of the survey. Standard errors (SE) were calculated for the NHAMCS estimates. All statistical tests were based on estimates that had at least 30 cases and a relative SE of <30% (ie, the SE divided by the estimate expressed as a percentage of the estimate) in the sample data, according to the NCHS recommendations. For the high-risk revisit trend analysis, we combined two years of data to increase the stability of the estimates. Descriptive statistics were presented as proportions (with 95% confidence intervals [CI]) or means (with SEs). We used the weighted chi-square test to assess the differences between proportions. Logistic regression models were used to test for significant changes in the primary outcomes (overall and high-risk ED revisit rate) during the study period, in which calendar year was a linear independent variable. We performed multivariable logistic regression analysis to assess the independent predictors of high-risk revisits among overall revisits. Due to the limited number of outcomes, the parsimonious multivariable model included age, gender, race/ethnicity, insurance, season, weekend, time of presentation, geographic region, and arrival mode. Odds
ratios (OR) are presented with 95% CI. All P values are twosided, with P <0.05 considered statistically significant.
From 2010 to 2018, 221,622 ED visits were recorded in the NHAMCS. After excluding visits from patients aged <18 years (n = 49,074) and missing the revisit variable (n = 19,422), we included a total of 153,106 adult ED visits in the analysis. Of these adult ED visits, 7,472 revisits were within 72 hours, and 145,634 were non-revisits. Of the revisits, 192 were high-risk with serious adverse outcomes. The flowchart is presented in Figure 1. In that same time frame, there were an estimated 842,000,000 adult ED visits. The weighted revisits over the nine-year study period were estimated to be 37,700,000, accounting for 4.5% of the total adult ED population (95% CI 3.9-5.1%). The baseline clinical characteristics of these revisits are summarized in Table 1.
Figure 1. Patient selection process. ED, emergency department.
The vast majority of the overall revisit population was aged 18–64 years, predominantly female, and comprised considerable numbers of non-Hispanic Blacks (21%) and Hispanics (15%). Approximately 28% had Medicaid insurance. No particular seasonal variation was noted, and about 40% of the revisits were located in the South. Approximately 18% were sent by ambulance, and 50% were triaged at level 3. Triage vital signs were generally within normal limits. Approximately 16% underwent CT, and very few (0.2~0.3%) had CPR or intubation. The mean ED LOS was about four hours, and 12% were hospitalized. Among those who were hospitalized, 1.2% died during the hospital stay.
Figure 2 depicts the trend in overall ED revisits during the study period. The numbers of overall revisits ranged from
Ling et al.
Table 1. Baseline clinical characteristics of emergency department revisit patients, 2010-2018.
Variable
Weighted number or weighted mean
Overall 37,700,000
Age group
Weighted percentage (95% CI)
Table 1. Continued.
Variable
18-64 30,800,000 81.7 (79.9-83.4) 65+ 6,884,000 18.3 (16.6-20.1)
Gender
Male 16,800,000 44.7 (43.1-46.3)
Female 20,800,000 55.3 (53.7-56.9)
Non-Hispanic White 22,800,000 60.5 (56.2-64.6) Non-Hispanic Black 7,954,000 21.1 (18.5-23.9)
Hispanic 5,714,000 15.2 (11.0-20.5) Other 1,226,000 3.3 (1.9-5.5)
Private insurance 8,879,000 26.4 (24.4-28.6)
Medicare 8,925,000 26.6 (24.9-28.4)
Medicaid or state-based programs 9,361,000 27.9 (25.5-30.4)
Self-pay (uninsured) 4,847,000 14.4 (13.0-16.0) Other 1,576,000 4.7 (3.6-6.1)
Spring (Mar. – May) 9,726,000 25.8 (21.8-30.2)
Summer (Jun. – Aug.) 9,618,000 25.5 (21.8-29.6)
Fall (Sep. – Nov.) 10,700,000 28.5 (22.0-35.9)
Winter (Dec. – Feb.) 7,614,000 20.2 (16.9-23.9)
Weekend 9,906,000 26.3 (24.9-27.7)
Time of ED presentation
7:00 AM to 2:59 PM 16,500,000 44.1 (42.2-46.0)
3:00 PM to 10:59 PM 14,700,000 39.3 (37.9-40.8)
11:00 PM to 6:59 AM 6,178,000 16.6 (15.1-18.1)
Geographic region
Northeast 6,945,000 18.4 (14.5-23.2)
Midwest 7,223,000 19.2 (15.1-24.0)
South 15,000,000 39.7 (31.2-48.9)
West 8,553,000 22.7 (18.2-27.9)
Metropolitan area 28,000,000 83.6 (75.7-89.3)
Arrival by ambulance 6,411,000 17.6 (16.0-19.3)
Number of comorbid conditions* 1.1 1.0-1.2
Most common chief complaints
Abdominal pain 3,401,000 9.0 (8.0-10.2)
Chest pain 1,494,000 4.0 (3.3-4.8)
*Available from 2012-2018. CI, confidence interval; ED, emergency department.
Weighted number or weighted mean
Weighted percentage (95% CI)
Headache 1,226,000 3.3 (2.8-3.8)
1
235,000 0.8 (0.6-1.1)
2 3,276,000 11.0 (9.8-12.4)
3 14,900,000 50.1 (47.5-52.7)
4 9,156,000 30.7 (28.5-33.1)
5 2,188,000 7.3 (6.2-8.8)
Severe (7-10) 14,300,000 49.8 (47.1-52.4)
Moderate (4-6) 5,032,000 17.5 (16.0-19.2) Mild (1-3) 2,084,000 7.3 (6.3-8.3)
No pain (0) 7,304,000 25.4 (23.6-27.4)
Body temperature, °C 36.8 36.7-36.8 Heart rate, beats per minute 86.3 85.6-87.0
Respiratory rate, breaths per minute 18.9 18.2-19.6
Oxygen saturation, % 97.2 97.0-97.5 Systolic blood pressure, mm Hg 134.9 134.0-135.9
Intubation
85,000 0.2 (0.1-0.4)
CPR 108,000 0.3 (0.0-1.7)
Any CT 6,127,000 16.3 (14.7-17.9)
MRI 385,000 1.0 (0.7-1.5)
Length of ED stay, hours 4.1 3.8-4.7
ED disposition
Admission 4,467,000 11.9 (10.1-13.9)
Died in the ED 58,000 0.2 (0.1-0.4)
Length of hospital stay, days 4.8 4.3-5.2
Inpatient mortality 50,000 1.2 (0.6-2.5)
*Available from 2012-2018. CI, confidence interval; ED, emergency department; CPR, cardiopulmonary resuscitation; mm Hg, millimeters of mercury; CT, computed tomography. MRI, magnetic resonance imaging.
3-6 million with a general decreasing trend. The proportions of revisits among total ED visits decreased slightly from 5.1% in 2010 to 4.5% in 2018 (P for trend = 0.02). There were an estimated 827,000 high-risk ED revisits, and the proportion of high-risk revisits within the entire ED population was 0.1% (95% CI 0.07-019%). The baseline clinical characteristics of high-risk revisits are summarized in Table 2.
Figure 2. The number and proportion of overall emergency department revisits, 2010-2018. ED, emergency department.
Table 2. Baseline clinical characteristics of emergency department high-risk revisit patients, 2010-2018.
Variable Weighted number or weighted mean Weighted percentage (95% CI)
Overall 827,000
Age group
18-64 507,000 61.2 (49.9-71.4) 65+ 321,000 38.8 (28.6-50.1)
Gender
Male 357,000 43.2 (33.5-53.3) Female 470,000 56.8 (46.7-66.5)
Non-Hispanic White 478,000 57.7 (40.3-73.4) Non-Hispanic Black 126,000 15.2 (8.8-24.9) Hispanic 201,000 24.3 (9.1-50.1) Other 22,000 2.7 (1.1-6.7)
Private insurance 158,000 22.0 (14.3-32.2)
Medicare 329,000 45.7 (35.7-56.1) Medicaid or statebased programs 117,000 16.3 (9.4-26.6)
Self-pay (uninsured) 51,000 7.2 (3.4-14.3) Other 63,000 8.8 (4.2-17.7)
Spring (Mar. – May) 281,000 33.9 (22.5-47.6)
Summer (Jun. – Aug.) 191,000 23.1 (15.2-33.5)
Fall (Sep. – Nov.) 193,000 23.3 (13.9-36.4)
Winter (Dec. – Feb.) 163,000 19.7 (14.1-26.8)
Weekend 200,000 24.1 (15.6-35.3)
Time of ED presentation
7:00 AM to 2:59 PM 408,000 50.0 (40.0-60.0)
*Available from 2012-2018.
CI, confidence interval; ED, emergency department.
Table 2. Continued.
Variable
Weighted number or weighted mean Weighted percentage (95% CI)
3:00 PM to 10:59 PM 250,000 30.6 (22.5-40.1)
11:00 PM to 6:59 AM 158,000 19.4 (12.4-28.9)
Geographic region
Northeast 132,000 16.0 (9.0-26.9)
Midwest 134,000 16.2 (8.7-28.1)
South 317,000 38.3 (21.1-58.9)
West 245,000 29.6 (17.5-45.3)
Metropolitan area 747,000 93.5 (84.5-97.5)
Arrival by ambulance 330,000 42.3 (29.1-56.7)
Number of comorbid conditions* 2.1 1.6-2.5
Most common chief complaints
Shortness of breath 93,000 11.3 (6.5-18.9)
Abdominal pain 92,000 11.2 (4.7-24.3)
Chest pain 48,000 5.8 (2.7-12.2)
Triage level
1 51,000 8.9 (4.6-16.5)
2 144,000 25.0 (17.1-35.2)
3 332,000 57.7 (47.6-67.2)
4 37,000 6.4 (3.6-10.9)
5 12,000 2.0 (0.5-7.3)
Pain score
Severe (7-10) 212,000 43.1 (32.2-54.8)
Moderate (4-6) 83,000 16.8 (9.2-28.7)
Mild (1-3) 21,000 4.3 (1.6-11.1)
No pain (0) 176,000 35.8 (25.2-47.9)
Triage vital signs
Body temperature, °C 36.8 36.6-36.9
Heart rate, beats per minute 91.1 86.0-96.2
Respiratory rate, breaths per minute 20.7 19.0-22.4
Oxygen saturation, % 95.2 93.6-96.7 Systolic blood pressure, mm Hg 134.2 128.6-139.8
ED management
Intubation 48,000 5.8 (2.8-11.5)
CPR 108,000 13.1 (2.5-46.7)
Any CT 300,000 36.2 (25.4-48.7)
MRI 59,000 7.1 (2.0-22.6)
*Available from 2012-2018. CI, confidence interval; ED, emergency department; mm Hg, millimeters of mercury; CPR, cardiopulmonary resuscitation; CT, computed tomography; MRI, magnetic resonance imaging.
Ling et al.
Table 2. Continued.
Variable Weighted number or weighted mean Weighted percentage (95% CI)
Length of ED stay, hours 9.5 3.3-15.8
Admission 728,000 88.0 (55.3-97.8)
Died in the ED 19,000 2.3 (0.6-8.9) Hospitalization
Length of hospital stay, days 4.5 3.8-5.2
Inpatient mortality 44,000 6.4 (2.8-13.6)
*Available from 2012-2018. CI, confidence interval; ED, emergency department.
The elderly aged ≥65 years accounted for 39% of the high-risk revisit population (vs 18% in the overall revisit population). The high-risk revisit population was also predominantly female but comprised a sizable percentage of Hispanics (24%). Approximately 46% had Medicare insurance. The high-risk revisit numbers were higher in the spring, and about 38% of the revisits were located in the South. Approximately 42% were sent by ambulance, and 34% were triaged at levels 1 or 2. The most common presenting symptoms among high-risk revisits included dyspnea (11%), abdominal pain (11%), and chest pain (6%). Triage vital signs showed slightly higher heart rate and respiratory rate, with lower oxygen saturation. Of the high-risk revisit patients, approximately 36% underwent CT, 13% had CPR, and 6% were intubated. The mean ED LOS was about 10 hours, and 88% were hospitalized. Among those who were hospitalized, 6% died during the hospital stay.
Figure 3 depicts the trend in high-risk ED revisits during the study period. The numbers of high-risk revisits ranged from 130,000 to 250,000. The proportions of high-risk revisits among total ED visits remained stable at approximately 0.1% (P for trend = 0.86). Of the 37,700,000 weighted revisits, 827,000 (2.2%; 95% CI 1.6-3.1%) were high-risk revisits. Table 3 shows the multivariate analysis of factors associated with high- risk revisits among the overall revisit population during the return visit. Age ≥ 65 years (adjusted odds ratio [aOR] 2.5; 95% CI 1.3–4.8), Hispanic ethnicity (aOR 2.4; 95% CI 1.02–5.4), daytime revisits (aOR 1.5; 95% CI 1.03–2.3), and arrival by ambulance (aOR 3.5; 95% CI 1.7–7.0) were independent predictors of high-risk ED revisits.
Our study showed that of the 842,000,000 adult ED visits represented in the analysis, 37,700,000 (4.5%) were revisits within 72 hours. Of these revisits, 827,000 (2.2%) were highrisk revisits, defined as those with serious adverse outcomes, including being admitted to the ICU or receiving emergency
Figure 3. The number and proportion of overall emergency department high-risk revisits, 2010-2018. The error bars represent 95% confidence intervals. emergency department.
Table 3. Emergency department visit rates for high-risk revisit, overall, stratified, and multivariable analysis, 2010-2018.
Variable
Proportion of high-risk revisit, % (95% CI) Adjusted OR (95% CI)*
Overall 1.4
Age group, years 18-64 1.6 (1.2-2.3) 1.0 (reference) 65+ 4.7 (2.8-7.6) 2.5 (1.3-4.8)
Gender
Male 2.1 (1.4-3.3) 0.9 (0.6-1.3) Female 2.3 (1.6-3.2) 1.0 (reference)
Non-Hispanic White 2.1 (1.5-2.9) 1.0 (reference) Non-Hispanic Black 1.6 (1.0-2.6) 0.9 (0.5-1.7) Hispanic 3.5 (1.5-8.2) 2.4 (1.02-5.4) Other 1.8 (0.6-5.1) 1.3 (0.4-4.5)
Insurance
Private insurance 1.8 (1.1-2.8) 1.0 (reference) Medicare 3.7 (2.3-5.9) 0.9 (0.4-2.0)
Medicaid or state-based programs 1.2 (0.7-2.1) 0.7 (0.3-1.3)
Self-pay (uninsured) 1.1 (0.5-2.4) 0.6 (0.2-1.4)
Other 4.0 (1.8-8.7) 1.7 (0.9-2.9)
Spring (Mar. – May) 2.9 (1.6-5.2) 1.4 (0.8-2.7)
Summer (Jun. – Aug.) 2.0 (1.4-2.9) 1.0 (reference)
Fall (Sep. – Nov.) 1.8 (1.0-3.1) 0.9 (0.4-1.8)
Winter (Dec. – Feb.) 2.1 (1.4-3.4) 1.1 (0.6-1.9)
*Multivariable model adjusts for all variables in the table. Significant odds ratios are highlighted in bold. OR, odds ratio; CI, confidence interval; ED, emergency department.
Table 3. Continued.
Weekend
Variable
Proportion of high-risk revisit, % (95% CI) Adjusted OR (95% CI)*
Non-weekend 2.3 (1.5-3.3) 1.0 (reference)
Weekend 2.0 (1.2-3.3) 1.0 (0.5-1.8)
7:00 AM to 2:59 PM 2.5 (1.7-3.6) 1.5 (1.03-2.3)
3:00 PM to 10:59 PM 1.7 (1.1-2.6) 1.0 (reference)
11:00 PM to 6:59 AM 2.6 (1.4-4.7) 1.2 (0.6-2.4)
Geographic region
Northeast 1.9 (1.2-3.1) 1.0 (reference)
Midwest 1.9 (1.1-3.2) 1.2 (0.5-2.8)
South 2.1 (1.0-4.5) 1.4 (0.6-3.0)
West 2.9 (1.8-4.5) 1.1 (0.5-2.3)
Arrival not by ambulance 1.5 (0.9-2.6) 1.0 (reference)
Arrival by ambulance 5.1 (3.8-6.9) 3.5 (1.7-7.0)
*Multivariable model adjusts for all variables in the table.
Significant odds ratios are highlighted in bold.
OR, odds ratio; CI, confidence interval; ED, emergency department.
with the decreased rate of overall revisits observed during this study period.
The characteristics of general ED revisits have been studied, and prediction models to identify general revisits have been developed.23–25 Prediction models of high-risk revisits are quite limited, as such models would require a large sample size to predict rare events. Prediction can occur at initial ED discharge (most common), between visits, or upon the revisit. We previously employed a case-crossover design to investigate time-varying factors associated with high-risk revisits.26 Changes in symptoms to dyspnea or chest pain, changes in arrival mode to ambulance, and changes in certain vital signs were most predictive of severe adverse events on revisits. In the current study, we focused on the prediction on the return visit, ie, identifying high-risk revisits from the pool of general revisits.
surgery, cardiac catheterization, or CPR. The proportion of high-risk revisits in the entire ED population was 0.1%. During the nine-year study period, high-risk revisit rates remained stable, whereas overall revisits decreased slightly. High-risk revisits had differing characteristics compared to other revisits. Older age, Hispanic ethnicity, daytime revisits, and arrival by ambulance during the ED revisit were associated with serious adverse outcomes.
The overall 72-hour revisit rate of 4.5% in our study is similar to the revisit rates reported in previous studies,1 whereas the high-risk revisit rate of 0.1% is higher than the previously reported returned ICU admission rate of approximately 0.05%.13–15,20 This difference is likely attributed to our study’s more comprehensive definition of high-risk revisit, which included both ICU admissions and other serious adverse outcomes. There is a paucity of data regarding US national revisit trends over time for both overall and high-risk revisits. For the first time, this study identified a statistically significant decreasing trend in overall revisits from 2010 to 2018. At the same time, our data suggests that high-risk revisit rates remained stable. These different trends suggest a relatively “fixed” rate of high-risk revisits, as opposed to a relatively “elastic” rate of overall revisits that were multifactorial. Alternatively, the decrease in overall revisits may have resulted from improved ED care, improved referral to primary care following an ED visit, and telehealth applications.21,22 Further research is required to investigate the persistence of this trend and possible mechanisms associated
We identified several patient and contextual factors associated with serious adverse events on revisits. Elderly patients revisited the ED more frequently27,28 and were more often admitted after the revisit.8,29 Our results indicate that elderly patients are also prone to critical events, which is consistent with previous reports.30 Frailty, complexity of comorbidities, and declining cognitive and physical function could all contribute to the need for more medical attention.31 In addition, we found Hispanic ethnicity to be associated with high-risk revisits compared to overall revisits, in contrast to the findings of fewer rehospitalizations after ED discharge among patients who identified as Hispanic from a previous report.32 We hypothesize that language barriers, clinician implicit bias, and inequities in socioeconomic status and access to healthcare resources may have contributed to this disparity. High quality communication is required to properly diagnose and safely disposition patients from the ED. Thus, ongoing efforts should be made to ensure that the future emergency physician workforce reflects its growing Hispanic population in both demographic and linguistic terms ; meanwhile, high quality inperson or tele-interpreters should be readily available within US EDs caring for this patient population.
Regarding the timing of visits, initial ED visits in the evening shifts or during off-hours have been identified as risk factors for subsequent ICU admission on revisits for both adult and pediatric patients.13,15,33 Evidence on the severity of revisits concerning the timing of the return visit is limited. Our study showed that daytime visits were associated with a highrisk revisit, probably because patients deferred medical care until morning. Arriving by ambulance was also linked with a high-risk revisit. Previous studies have reported an association between the mode of transportation and ED admission and ICU admission on revisit.7,30
Our study has several limitations. First, the medical records were only retrieved cross-sectionally, and we were unable to trace the revisit to the initial visit. Nevertheless,
Ling et al.
the data still provided the key characteristics to distinguish high-risk revisits from overall revisits. Second, information on revisits to another healthcare facility was also unavailable, which may have resulted in underestimating the total revisit rate. In our previous study, about one in three ED revisits occurred in another hospital.34 Third, we did not include in our study other conditions such as stroke that may also constitute a high-risk revisit. Finally, other factors that may contribute to serious adverse outcomes, such as ED occupancy, number of staff, and seniority of treating clinicians, were not available in the NHAMCS.
We found that high-risk revisits account for approximately 0.1% of adult ED visits in this nationally representative sample. The high-risk revisit rate remained stable during the study period from 2010 to 2018, whereas the overall revisit rate decreased. Older age, Hispanic ethnicity, daytime revisits, and arrival by ambulance are factors associated with high-risk revisits. Much work is needed to reduce these catastrophic adverse events, namely, to develop and validate prediction models at initial ED discharge, between visits, and on return visits. Thus, timely interventions can be implemented on the target populations at different time points for improved quality of care and patient safety.
Issues and Adverse Outcomes among 72-Hour Return Admissions in the Emergency Department. J Emerg Med. 2013;45(2):281-8.
4. Calder L, Pozgay A, Riff S, et al. Adverse events in patients with return emergency department visits. BMJ Qual Saf. 2015;24(2):142-8.
5. Jiménez-Puente A, del Río-Mata J, Arjona-Huertas JL, et al. Which unscheduled return visits indicate a quality-of-care issue? Emerg Med J. 2017;34(3):145-50.
6. Pham JC, Kirsch TD, Hill PM, et al. Seventy-two-hour Returns May Not be a Good Indicator of Safety in the Emergency Department: A National Study. Acad Emerg Med. 2011;18(4):390-7.
7. Liu SW. Risk factors of admission in 72-h return visits to emergency department. Tzu Chi Med J. 2021;33(2):169.
8. Hayward J, Hagtvedt R, Ma W, et al. Predictors of Admission in Adult Unscheduled Return Visits to the Emergency Department. West J Emerg Med. 2018;19(6):912-8.
9. Tsai CL, Ling DA, Lu TC, e al. Inpatient Outcomes Following a Return Visit to the Emergency Department: A Nationwide Cohort Study. West J Emerg Med. 2021;22(5):1124-30.
10. Sabbatini AK, Kocher KE, Basu A, et al. In-Hospital Outcomes and Costs Among Patients Hospitalized During a Return Visit to the Emergency Department. JAMA. 2016;315(7):663.
11. Sills MR, Macy ML, Kocher KE, et al. Return Visit Admissions May Not Indicate Quality of Emergency Department Care for Children. Alpern E, ed. Acad Emerg Med. 2018;25(3):283-92.
12. Cheng J, Shroff A, Khan N, et al. Emergency Department Return Visits Resulting in Admission: Do They Reflect Quality of Care? Am J Med Qual. 2016;31(6):541-51.
Address for Correspondence: Chu-Lin Tsai, MD, ScD, National Taiwan University Hospital, Department of Emergency Medicine, 7 Zhongshan S. Rd, Taipei 100, Taiwan. Email: chulintsai@ntu.edu.tw.
Conflicts of Interest: By the WestJEM article submission agreement, all authors are required to disclose all affiliations, funding sources and financial or management relationships that could be perceived as potential sources of bias. No author has professional or financial relationships with any companies that are relevant to this study. This project was supported by grants from the Ministry of Science and Technology (111-2634-F-002-015 and 111-2314-B-002-264) and the National Taiwan University Hospital (111-CGN-0005). There are no conflicts of interest to declare.
Copyright: © 2022 Ling et al. This is an open access article distributed in accordance with the terms of the Creative Commons Attribution (CC BY 4.0) License. See: http://creativecommons.org/ licenses/by/4.0/
13. Hiti EA, Tamim H, Makki M, et al. Characteristics and determinants of high-risk unscheduled return visits to the emergency department. Emerg Med J. 2020;37(2):79-84.
14. Chang CS, Lee KH, Su HY, et al. Physician-related factors associated with unscheduled revisits to the emergency department and admission to the intensive care unit within 72 h. Sci Rep 2020;10(1):13060.
15. Tsai IT, Sun CK, Chang CS, et al. Characteristics and outcomes of patients with emergency department revisits within 72 hours and subsequent admission to the intensive care unit. Tzu Chi Med J 2016;28(4):151-6.
16. McCaig LF, McLemore T. Plan and operation of the National Hospital Ambulatory Medical Survey. Series 1: programs and collection procedures. Vital Health Stat Ser 1 Programs Collect Proced 1994;(34):1-78.
1. Trivedy CR, Cooke MW. Unscheduled return visits (URV) in adults to the emergency department (ED): a rapid evidence assessment policy review. Emerg Med J. 2015;32(4):324-9.
2. Wu CL, Wang FT, Chiang YC, et al. Unplanned Emergency Department Revisits within 72 Hours to a Secondary Teaching Referral Hospital in Taiwan. J Emerg Med. 2010;38(4):512-7.
3. Abualenain J, Frohna WJ, Smith M, et al. The Prevalence of Quality
17. Nawar EW, Niska RW, Xu J. National Hospital Ambulatory Medical Care Survey: 2005 emergency department summary. Adv Data 2007;(386):1-32.
18. United States Bureau of the Census. Available at: http://www.census. gov. Accessed June 18, 2021.
19. Schneider D, Appleton L, McLemore T. A reason for visit classification for ambulatory care. Vital Health Stat 2. 1979;(78):i-vi, 1-63.
20. Aaronson E, Jansson P, Wittbold K, et al. Unscheduled return visits to the emergency department with ICU admission: A trigger tool for diagnostic error. Am J Emerg Med. 2020;38(8):1584-7.
Western Journal of Emergency
21. Lin MP, Baker O, Richardson LD, Schuur JD. Trends in Emergency Department Visits and Admission Rates Among US Acute Care Hospitals. JAMA Intern Med. 2018;178(12):1708.
22. Burke LG, Epstein SK, Burke RC, et al. Trends in Mortality for Medicare Beneficiaries Treated in the Emergency Department From 2009 to 2016. JAMA Intern Med. 2020;180(1):80-8.
23. Pellerin G, Gao K, Kaminsky L. Predicting 72-hour emergency department revisits. Am J Emerg Med. 2018;36(3):420-4.
24. Hao S, Jin B, Shin AY, et al. Risk Prediction of Emergency Department Revisit 30 Days Post Discharge: A Prospective Study. Pappalardo F, ed. PLoS ONE. 2014;9(11):e112944.
25. Gao K, Pellerin G, Kaminsky L. Predicting 30-day emergency department revisits. Am J Manag Care. 2018;24(11):e358-64.
26. Sung CW, Lu TC, Fang CC, et al. Factors associated with a high-risk return visit to the emergency department: a case-crossover study. Eur J Emerg Med. 2021;28(5):394-401.
27. Martin-Gill C, Reiser RC. Risk factors for 72-hour admission to the ED. Am J Emerg Med. 2004;22(6):448-53.
28. Tangkulpanich P, Yuksen C, Kongchok W, et al. Clinical Predictors
of Emergency Department Revisits within 48 Hours of Discharge; a Case Control Study. Arch Acad Emerg Med. 2020;9(1):e1.
29. Gabayan GZ, Asch SM, Hsia RY, et al. Factors Associated With Short-Term Bounce-Back Admissions After Emergency Department Discharge. Ann Emerg Med. 2013;62(2):136-44.e1.
30. Fan JS, Kao WF, Yen DHT, et al. Risk factors and prognostic predictors of unexpected intensive care unit admission within 3 days after ED discharge. Am J Emerg Med. 2007;25(9):1009-14.
31. Sheikh S. Risk Factors Associated with Emergency Department Recidivism in the Older Adult. West J Emerg Med. 2019;20(6):931-8.
32. Gabayan GZ, Sarkisian CA, Liang LJ, et al. Predictors of Admission After Emergency Department Discharge in Older Adults. J Am Geriatr Soc. 2015;63(1):39-45.
33. Chiang CY, Chen YL, Lin YR, et al. Characteristics of Febrile Children Admitted to the ICU Following an Unscheduled ED Revisit Within 72 h, a Case–Control Study. Front Pediatr. 2020;8:411.
34. Lu TC, Ling DA, Tsai CL, et al. Emergency department revisits: a nation-wide database analysis on the same and different hospital revisits. Eur J Emerg Med. 2020;27(2):114-20.
Melissa Bales, BSN, RN
Katelyn DeAlmeida, BSN, RN
Courtney E. Oei, MS
David Hampton, MD, MEng
Nicole L. Bohr, PhD, RN
Section Editor: David Thompson, MD
University of Chicago Medicine, Department of Emergency Medicine, Chicago, Illinois
Submission history: Submitted June 15, 2022; Revision received August 2, 2022; Accepted August 3, 2022
Electronically published October 18, 2022
Full text available through open access at http://escholarship.org/uc/uciem_westjem
DOI: 10.5811/westjem.2022.8.57733
Introduction: Emergency department (ED) staff are at a high risk for compassion fatigue (CF) due to a work environment that combines high patient acuity, violence, and other workplace stressors. This multifaceted syndrome has wide-ranging impacts which, if left untreated, can lead to adverse mental health conditions including depression, anxiety, and substance use disorders. However, the majority of studies examining CF look solely at clinicians; as a result, there is little information on the impact of CF across other roles involved in supporting patient care. We conducted this study to establish the prevalence of CF across both clinical and non-clinical roles in the adult ED setting.
Methods: For this single institution, cross-sectional study, all full- and part-time ED staff members who worked at least 50% of their shifts in the ED or within the adult trauma service line were eligible to participate. Using the Professional Quality of Life Scale, which measures CF via compassion satisfaction (CS), burnout (BO), and secondary traumatic stress (STS), we assessed for group differences between roles using non-parametric one-way ANOVA.
Results: A total of 152 participants (response rate = 38.0%) completed the survey. This included attending physicians (n = 15, 9.7%), resident/fellow physicians (n = 23, 15.1%), staff nurses (n = 54, 35.5%), emergency technicians (n = 21, 13.8%), supportive clinical staff (n = 28, 18.4%), and supportive ancillary staff (n = 11, 7.2%). Across all roles, the majority of respondents had average levels of BO (median = 25.0, interquartile range [IQR] 20.0-29.0) and STS (median = 23.0, IQR 18.027.0) coupled with high levels of CS (median = 38.0, IQR 33.0-43.0). There was a difference in CS by role (P = .01), with nurses reporting lower CS than attending physicians. Secondary traumatic stress also differed by role (P = .01), with attending physicians reporting lower STS than both emergency technicians and nurses. Group differences were not seen in BO.
Conclusions: Rates of compassion fatigue subcomponents were similar across all ED team members, including non-clinical staff. Programs to identify and mitigate CF should be implemented and extended to all roles within the ED. [West J Emerg Med. 2022;23(6)841–845.]
Emergency department (ED) staff today face unique challenges that may position them to be at an increased risk for developing compassion fatigue (CF).1 The ED environment itself is stressful—high pressured and fast
paced. Staff in the ED often encounter high patient acuity, excessive workloads, and crowding.2,3 In addition, violence/ abuse directed at staff is commonly experienced in the ED. One study found that over 80% of ED staff reported violence/abuse from their patients and/or patients’ families.3
The ED staff are also the frontline workers who most consistently experience the failures of a broken healthcare system. Of the 130 million ED visits per year in the United States, only about 12% are admitted to the hospital.4 Many of these visits are patients who frequently seek emergency care for non-emergent concerns. These patient encounters often stem from lack of access to primary care. Caring for these patients has been associated with increased feelings of hopelessness and CF among ED staff.5,6
Since 2010, the Professional Quality of Life Scale (ProQOL) scale has been the predominant CF measurement tool. This validated instrument individually assesses compassion satisfaction (CS), burnout (BO), and secondary traumatic stress (STS) to capture CF.7 Compassion satisfaction is defined as the gratification one feels secondary to the quality of their work and the care they provide.7 Alternatively, BO describes the feelings of hopelessness and frustrations that one experiences over time due to the perceived inability to do their job to the best of their ability. It is influenced by heavy workloads and unsupportive environments.7 Finally, STS is the secondhand distress one experiences when their job requires helping those who have experienced exceptionally traumatic events.7,8 While CS helps combat CF, BO and STS contribute to its development.
Compassion fatigue in healthcare workers has been extensively studied over the past 20 years; this includes studies among ED nurses,9-11 emergency physicians,10 and social workers in EDs.10 However, no studies have looked beyond those providing clinical care to capture CF in those working in supportive roles within the ED (such as environmental service staff, public safety officers, and registration staff). It is vital to capture the impact of CF across ED service lines, particularly given the workplace challenges present for all staff. In fact, one study found no statistically significant differences in CS, BO, or STS despite varying levels of patient contact between clinical roles.10 Therefore, it stands to reason that all ED staff could also be at risk for CF. To address this critical gap, we sought to capture the prevalence of CF in all employees who worked in the ED and identify group differences in CF by role.
Following local institutional review board approval in January 2020, we distributed a survey to all eligible staff working in the adult ED at a tertiary academic care facility with a Level I trauma center via REDCap (Research electronic data capture) hosted at the University of Chicago.12 This single-institution, cross-sectional study was conducted in January 2020. All full- and part-time ED staff members who worked at least 50% of their shifts in the ED or within the adult trauma service line were eligible to participate. This included attending and resident physicians, nurses, emergency technicians, supportive clinical staff, and support ancillary staff.
What do we already know about this issue?
Emergency department (ED) staff are at high risk for compassion fatigue (CF); however, most studies have only examined CF rates among clinical staff.
What was the research question? We sought to quantify CF in both clinical and ancillary ED staff and identify group differences by role.
What was the major finding of the study? Rates of CF subcomponents were similar across all ED team members, including nonclinical staff.
How does this improve population health? Recognizing that CF impacts all staff in the ED, including those in non-clinical roles, will help institutions better address the issue and thereby improve patient care.
For the purposes of this study, supportive clinical staff included respiratory therapists, radiology technicians, chaplains, and social workers. Support ancillary staff included environmental services staff, public safety officers, and registration staff. Staff members were excluded from study participation if they were 1) temporary/agency staff; and/or 2) hired within three months of the study start date. Survey completion was regarded as participants’ informed consent. Staff members who completed the survey were invited to participate in a random drawing to win one of 30 $50 gift cards.
We captured CF via the ProQOL version 5 scale, a validated tool that has been used in multiple research studies to quantify the prevalence and degree of CF in various healthcare roles.7 Scores range from low, average and high in each subcategory (CS, BO and STS). If the sum of an individual’s scores is 22 or less, this indicates low levels of that particular subcategory; between 23-41 indicates average levels, and 42 or higher indicates high levels.7 Those with high CS and low to moderate BO and STS may indicate low levels of CF, while individuals with low levels of CS and high levels of BO and STS could indicate higher levels of distress.7 We also collected demographic information, including age, gender, job title, number of years worked in the ED, years of trauma experience, and proximity of their place of residence to the hospital.
Data cleaning and analysis was completed using SAS software version 9.4 (SAS Institute, Cary, NC). We removed outliers, defined as data points beyond three standard deviations of the mean, due to likelihood of erroneous data entry. Patterns of missing data were assessed to ensure randomness; scale means were imputed for each individual in scales with less than 25% missing data. We calculated demographic frequencies and ProQOL-5 subscale summary statistics for the entire sample and by role. Group differences in ProQOL-5 subscale scores between roles were examined using nonparametric one-way ANOVA. Statistical significance was defined as P ≤ .05 with confidence intervals were set at 95%.
Of the approximately 400 eligible staff members, 152 completed the survey, yielding a 38.0% response rate. Staff nurses (n = 54, 35.5%) and supportive clinical staff (n = 28, 18.4%) were the most common ED roles represented in this
sample (Table 1). The majority were women (n = 94, 62%) and between the ages of 25 to 44 (n = 118, 78%). Most participants worked either 31-40 hours (n = 68, 45%) or greater than 40 hours (n = 74, 49%) per week; only 10 (7%) staff members worked 30 hours or less. Across all roles, half of respondents (n = 76) had average levels of BO (median = 25.0, IQR 20.0-29.0) and STS (median = 23.0, interquartile range [IQR] 18.0-27.0) (n=89, 58%) (Figure 1). The median CS score was 38.0 (IQR 33.0-43.0). There was a significant difference in CS by role (P = .02), with nurses reporting significantly less CS (median = 35.5) than attending physicians (median = 41.7) (Table 2). Secondary traumatic stress also differed by role (P =.02), with attending physicians reporting less STS (median = 18.0) than both emergency technicians (median = 25.3) and nurses (median = 23.4). Group differences were not seen in BO.
In this study, which was conducted prior to the COVID-19 pandemic, average-to-high levels of CS and low-
Table 1. Demographics and descriptive characteristics of emergency department staff.
Resident/Fellow/ Advanced Practice Nurse (n=23)
Attending Physicians (n=15) Nurses (n = 54)
Emergency Room Tech/ Medical Assistant (n=21)
Supportive Ancillary Staff (n=11) n % n % n % n % n % n % P
Supportive Clinical Staff (n=28)
Gender <.001 Male 6 26.0 13 86.9 15 27.8 12 57.1 8 28.6 4 36.4 Female 17 73.9 2 13.3 39 72.2 9 42.9 20 71.4 7 63.6 Age <.001 <35 21 91.3 2 13.3 29 53.7 16 76.2 9 32.14 4 36.4 35 -54 2 8.7 7 46.7 23 42.6 4 19.1 18 64.3 7 63.6 > 55 0 0.0 6 40.0 2 3.7 1 4.8 1 3.6 0 0.0
Hours per week <.001 <30 1 4.4 1 6.7 2 3.7 4 19.1 2 7.1 0 0.0 30-50 4 17.4 1 6.7 48 88.9 16 76.2 25 89.3 10 90.9 >50 18 78.3 13 86.7 4 7.4 1 4.8 1 3.6 1 9.1
Years in role .004 <2 14 60.9 4 26.7 13 24.1 11 52.4 10 35.7 2 18.2 3-10 9 39.1 4 26.7 26 48.2 9 42.9 14 50.0 6 54.6 >10 0 0.0 7 46.7 15 27.8 1 4.8 4 14.3 3 27.3
Years in trauma <.001 <2 15 65.2 0 0.0 25 48.1 11 55.0 17 60.7 7 63.6 3-10 8 34.8 5 33.3 18 34.6 8 40.0 8 28.6 4 36.4 >10 0 0.0 10 66.7 9 17.3 1 5.0 3 10.7 0 0.0
Miles from job .005
<5 9 39.1 1 6.7 7 13.2 5 23.8 3 10.7 3 27.3 6-10 11 47.8 7 46.7 13 24.5 4 19.1 7 25.0 1 9.1 >10 3 13.0 7 46.7 33 62.3 12 57.1 18 64.3 7 63.6
Figure 1. Boxplot demonstrating distribution of compassion fatigue components for emergency department employees.
previously never been examined. It is our assumption that this may be due to perceived lack of exposure to traumatic events or an under-appreciation of their impact on healthcare. However, there is potentially unanticipated indirect exposure, including the aftermath of seeing trauma patients, cardiac resuscitations, and patient death.
Given the overwhelming influx of patients during the COVD-19 pandemic, the increased exposure to death due to lack of treatment, direct exposure to the virus, and organizational issues such as lack of personal protective equipment, ED staff members have experienced increased levels of trauma overall.18-20 With the timing of our study, we were able to capture these pre-pandemic levels of CF and then extend the study to capture CF measures during the pandemic; those findings will be reported in a future publication.
to-average levels of BO and STS were found across clinical and non-clinical roles within the ED. In the subgroup analysis, we demonstrated statistically significant differences. Attending physicians reported significantly higher levels of CS and lower levels of STS than nurses. This is inconsistent with findings from two other pre-pandemic studies comparing these roles using the ProQOL-5.10, 13 In both those studies, significant differences in subcategories between clinicians were not noted. However, of those studies one focused on palliative care staff,13 while the other measured CF subcomponents in strictly pediatric ED staff.10
Multiple factors may influence this inconsistency. A low level of managerial support, for example, has previously been associated with lower CF; this may account for the variation in reports across units, disciplines, hospitals ,and studies.14 With that being said, population variations between studies have additionally made it difficult to draw general conclusions when making comparisons of CF between roles.15 This significance in CS and STS scores between nurses and attending physicians pre-pandemic adds to the growing body of literature analyzing the effects of working in the ED on each role.10, 14, 16, 17 The presence of CS, BO, and STS in supportive ancillary staff had
It remains unclear how the pandemic has impacted supportive clinical staff and supportive ancillary staff. Some of these roles were reduced in the early days of the pandemic to decrease general population exposure; in addition, occupational resources for these roles were cut back due to financial constraints and to limit disease spread. With this reduction in resources to cope, supportive clinical and ancillary staff may have been at increased risk. Many institutions have offered education on self-care techniques and reinforced the availability of services such as employee assistance programs for clinical staff members. Given our results, institutions should be encouraged to extend similar resources to these supportive roles to help mitigate CF across all roles.
There are several limitations to our study. As previously stated, our response rate was 38%; however, the rate of participation for each role was representative of the overall distribution. Our survey was a self-selective process; therefore, because we were unable to capture those individuals who elected not to participate our scores may underrepresent the true prevalence of CS, BO, and STS. We hypothesize that those
Table 2. Compassion fatigue scores for emergency department staff via the Professional Quality of Life Scale. Version 5. Resident/Fellow/ Advanced Practice Nurse (n=23)
Attending Physicians (n=15) Nurse (n=54)
Emergency Room Tech/ Medical Assistant (n=21) Support Clinical Staff (n=28)
Support Ancillary Staff (n=11)
Mean (STD) Range Mean (STD) Range Mean (STD) Range Mean (STD) Range Mean (STD) Range Mean (STD) Range P
CS 39.6 (5.8) 29.049.0 41.7 (5.6) 30.050.0 35.5 (5.8) 22.050.0 38.1 (6.4) 25.050.0 38.1 (8.1) 18.049.0 39.0 (6.5) 29.049.0 .010
BO 24.0 (6.0) 15.035.0 21.5 (4.8) 14.031.0 25.3 (5.5) 12.034.0 26.5 (5.1) 18.035.0 24.8 (7.6) 12.038.0 24.2 (5.7) 13.031.0 .210
STS 22.6 (6.1) 10.033.0 18.0 (4.5) 12.027.0 23.4 (5.1) 11.033.0 25.3 (6.6) 13.038.0 23.1 (7.3) 14.042.0 21.6 (5.7) 13.030.0 .010
CS, compassion satisfaction; BO, burnout; STS, secondary traumatic stress.
who did not participate may be more likely to be suffering from high levels of CF and, therefore, experiencing an indifference that prohibited study participation. Finally, this study was conducted in a single institution. The patient population and encounters experienced in our ED may not be identical to those seen at other locations. Our results may represent a bias toward a trauma center with a high penetrating injury rate and one without an established protocol to mediate staff CF.
Compassion fatigue has the potential to be experienced by all trauma center service lines. Its presentation may be under-appreciated in service lines traditionally not associated with direct medical care. This lack of appreciation can result in a dysfunctional work environment, poor work performance, and career-limiting behaviors. There appears to be an internal element within institutions by the variations seen between studies. More research comparing roles across units may help clarify these differences. Additionally, the impacts of CF on supportive staff should continue to be investigated further to understand the impacts that COVID-19 had on these roles. Organizational recognition and support to create and implement protocols mitigating CF across all disciplines may lead to a greater understanding of its prevalence and opportunities for interventions.
Address for Correspondence: Nicole L. Bohr, PhD, RN. University of Chicago Medicine, Department of Nursing Research and Evidence-Based Practice. 5841 S. Maryland, Rm. C-147, MC 1083, Chicago, IL 60637. Email: nicole.pierce@uchospitals.edu.
Conflicts of Interest: By the WestJEM article submission agreement, all authors are required to disclose all affiliations, funding sources and financial or management relationships that could be perceived as potential sources of bias. No author has professional or financial relationships with any companies that are relevant to this study. There are no conflicts of interest or sources of funding to declare.
Copyright: © 2022 Bales et al. This is an open access article distributed in accordance with the terms of the Creative Commons Attribution (CC BY 4.0) License. See: http://creativecommons.org/ licenses/by/4.0/
1. Ratrout HF, Hamdan-Mansour AM. Secondary traumatic stress among emergency nurses: Prevalence, predictors, and consequences. Int J Nurs Pract. 2020;26(1):1-9.
2. Johnston A, Abraham L, Greenslade J, et al. Review article: Staff per ception of the emergency department working environment: Integrative review of the literature. Emerg Med Australas. 2016;28:7-26.
3. McDermid F, Judy M, Peters K. Factors contributing to high turnover rates of emergency nurses: a review of the literature. Aust Crit Care 2020;33(4):390-6.
4. CDC. Emergency Department Vists. 2022. Available at: https://www.cdc. gov/nchs/fastats/emergency-department.htm. Accessed May 5, 2022.
5. Austin CL, Saylor R, Finley PJ. Moral distress in physicians and nurses: impact on professional quality of life and turnover. Psychol Trauma 2017;9(4):399-406.
6. Bodenmann P, Kasztura M, Graells M, et al. Healthcare providers’ per ceptions of challenges with frequent users of emergency department care in Switzerland: a qualitative study. Inquiry. 2021;58:1-10
7. Stamm BH. (2010). The Concise ProQOL Manual: The Concise Manual for the Professional Quality of Life Scale, 2nd Edition. Eastwoods, LLC.
8. Figley CR. Compassion fatigue: psychotherapists’ chronic lack of self care. J Clin Psychol. 2002;58(11):1433-41.
9. Borges E, Fonseca C, Baptista PCP, et al. Compassion fatigue among nurses working on an adult emergency and urgent care unit. Rev Lat Am Enfermagem. 2019;27:e3175:1-6.
10. Nilan LM, Patel L, Moffatt ME, et al. Compassion fatigue in pediatric emergency department staff. Pediatr Emerg Care. 2019;35(11):777-81.
11. O’Callaghan EL, Lam L, Cant R, et al. Compassion satisfaction and compassion fatigue in Australian emergency nurses: a descriptive crosssectional study. Int Emerg Nurs. 2020;48:1-19.
12. Harris PA, Taylor R, Thielke R, et al. Research Electronic Data Capture (REDCap) - A metadata-driven methodology and workflow process for providing translational reearch informatics support. J Biomed Inform 2009;42(2):377-81.
13. O’Mahoney S, Ziadni M, Hoerger M, et al. Compassion fatigue among palliative care clinicians: findings on personality factors and years of service. Am J Hosp Palliat Care. 2018;35(2):343-7.
14. Hunsaker S, Chen HC, Maughan D, et al. Factors that influence the de velopment of compassion fatigue, burnout, and compassion satisfaction in emergency department nurses. J Nurs Scholarsh. 2015;47(2):186-94.
15. Cavanagh N, Cockett G, Heinrich C, et al. Compassion fatigue in health care providers: a systematic review and meta-analysis. Nurs Ethics 2020;27(3):639-65.
16. Gribben JL, MacLean SA, Pour T, et al. A cross-sectional analysis of compassion fatigue, burnout, and compassion satisfaction in pediatric emergency medicine physicians in the United States. Acad Emerg Med 2019;26(7):732-43.
17. Wijdenes KL, Badger TA, Sheppard KG. Assessing compassion fa tigue risk among nurses in a large urban trauma center. J Nurs Adm 2019;49(1):19-23.
18. Khattak SR, Saeed I, Rehman SU, et al. Impact of fear of COVID-19 pandemic on the mental health of nurses in Pakistan. J Loss Trauma 2020;26(5):421-35.
19. Lluch C, Galiana L, Domenech P, et al. The Impact of the COVID-19 pandemic on burnout, compassion fatigue, and compassion satisfac tion in healthcare personnel: a systematic review of the literature published during the first year of the pandemic. Healthcare (Basel). 2022;10(2):1-41.
20. Tarhan S, Omeroglu Simsek G, Direk Tecirli N, et al. Facing the pandemic: burnout in physicians in Turkey. Turk Thorac J 2021;22(6):439-45.
Sun Wook Moon, MD*
Ji Hwan Lee, MD, PhD*
Hyun Sim Lee, Rn, PhD†
Ha Yan Kim, MS‡
Myeongjee Lee, PhD‡
Incheol Park, MD, PhD*
Hyun Soo Chung, MD, PhD*
Ji Hoon Kim, MD, MPH, PhD*§
Section Editor: Laura Walker, MD
* † ‡ §
Yonsei University College of Medicine, Department of Emergency Medicine, Seoul, the Republic of Korea Yonsei University Health System, Department of Emergency Nursing, Seoul, the Republic of Korea Yonsei University College of Medicine, Department of Biomedical Systems Informatics, Seoul, the Republic of Korea Yonsei University College of Medicine, Department of Preventive Medicine, Seoul, the Republic of Korea
Submission history: Submitted January 9, 2021; Revision received July 14, 2022; Accepted August 13, 2022
Electronically published October 18, 2022 Full text available through open access at http://escholarship.org/uc/uciem_westjem
DOI: 10.5811/westjem.2022.8.56039.
Introduction: Critically ill patients are frequently transferred from other hospitals to the emergency departments (ED) of tertiary hospitals. Due to the unforeseen transfer, the ED length of stay (LOS) of the patient is likely to be prolonged in addition to other potentially adverse effects. In this study we sought to confirm whether the establishment of an organized unit — the Emergency Transfer Coordination Center (ETCC) — to systematically coordinate emergency transfers would be effective in reducing the ED LOS of transferred, critically ill patients.
Methods: The present study is a retrospective observational study focusing on patients who were transferred from other hospitals and admitted to the intensive care unit (ICU) of the ED in a tertiary hospital located in northwestern Seoul, the capital city of South Korea, from January 2019 – December 2020. The exposure variable of the study was ETCC approval before transfer, and ED LOS was the primary outcome. We used propensity score matching for comparison between the group with ETCC approval and the control group.
Results: Included in the study were 1,097 patients admitted to the ICU after being transferred from other hospitals, of whom 306 (27.9%) were transferred with ETCC approval. The median ED LOS in the ETCC-approved group was significantly reduced to 277 minutes compared to 385 minutes in the group without ETCC approval. The ETCC had a greater effect on reducing evaluation time than boarding time, which was the same for populations with different clinical features.
Conclusion: An ETCC can be effective in systematically reducing the ED LOS of critically ill patients who are transferred from other hospitals to tertiary hospitals that are experiencing severe crowding. [West J Emerg Med. 2022;23(6)846–854.]
Emergency department (ED) crowding is a global public healthcare issue that can result in poor clinical outcomes as well as a decrease in patient satisfaction.1-6 Prolonged ED length of stay (LOS) is a leading cause of ED crowding.7 In particular, a poor clinical prognosis is predicted if the
ED LOS is prolonged in critically ill patients who require a mechanical ventilator or in patients with acute cardiovascular disease or sepsis.8,9 Such critically ill patients are often transferred from other hospitals that do not have the capacity for initial stabilization or enough admission units for intensive care compared to the ED in a tertiary hospital.10,11 For the
emergency transfer of critically ill patients, multiple pieces of information need to be shared and confirmed between hospitals in advance.
The safety of the patient is guaranteed when an accurate and prompt approval process is performed.12 Specifically, a patient’s condition must be clarified, and the risk of transport and possible scarcity of resources for emergency care at the receiving hospital must be considered.13,14 Therefore, the coordination of the emergency transfer of critically ill patients requires more effort than for general patients, who can be transferred to a tertiary hospital without prior approval.13 Although close contact should be established before transferring a critically ill patient to another hospital, few EDs have an organized system for such transfers.15
The ED under investigation has been operating an Emergency Transfer Coordination Center (ETCC) since 2012 to coordinate interfacility communication during emergency transfers. The ETCC systematically and promptly collects the necessary information to decide whether to admit patients referred to this ED. We hypothesized that this coordination system would contribute to reducing the ED LOS of high severity patients transferred to the ED of a tertiary hospital. Therefore, our goal was to investigate whether an ETCC is effective in reducing the ED LOS in patients requiring intensive care who have been transferred to the ED of a tertiary hospital.
The present study is a retrospective observational study using prospectively collected data from the patient registry at a tertiary hospital in South Korea. It adhered to the STROBE guidelines and complied with the tenets of the Declaration of Helsinki. The study protocol was approved by the institutional review board of Severance Hospital, South Korea (approval number 4-2021-0492). The requirement for informed consent was waived due to the study’s retrospective design.
In South Korea, EDs are designated by the Ministry of Health Welfare at Levels 1, 2, or 3. The designation is based on the availability of resources including equipment, facilities, medical service, and specialists in the ED.16 We performed this study at a Level 1 ED at a tertiary hospital located in northwestern Seoul (the capital city of South Korea), which is responsible for receiving patients who cannot be stabilized in this catchment area. Approximately 90,000 patients visit this ED every year. Among them, 8,100 patients (9%) are transferred from other hospitals. This study focused on patients who were transferred to the ED from other hospitals and admitted to the intensive care unit (ICU) from January 2019 – December 2020. Children <18 years of age were excluded because the ETCC was established for adult patients only.
What do we already know about this issue?
Emergency department (ED) crowding is a global public healthcare issue because it can result in poor clinical outcomes.
What was the research question? Would an emergency transfer coordination center (ETCC) be effective in reducing the ED length of stay (LOS) in transferred critical patients?
What was the major finding of the study?
The median ED LOS in the ETCC-approved group was reduced to 277 minutes compared to 385 minutes in the group without ETCC approval.
How does this improve population health?
An ETCC can help to efficiently use the limited resources in the EDs of tertiary hospitals that are experiencing severe crowding.
The ETCC is physically located in the Level 1 ED where this study was conducted and consists of seven coordinators and 12 board-certified emergency physicians (EP). Each shift consists of one coordinator and one EP. The coordinators are nurses with more than two years of experience working in an ED. The flowchart of ETCC decision-making is presented in Figure 1. The ETCC examines the cost-benefit of the transfer based on the patient’s status in the referring facility and the availability of emergency medical resources at the accepting ED. When a patient is referred to this ED via a phone call, the coordinator is required to evaluate and summarize the patient’s status by standardized protocols. The coordinator monitors in real time the available resources for emergency management and hospitalization through the electronic health record. This includes availability of specialists, an operating room (OR), necessary equipment, and the ICU. Based on this information, the EPs decide whether to accept the emergency transfer based on information shared by the coordinator. If the opinion of a specialist is required to approve the transfer, the coordinator contacts the on-call specialist by phone and records their feedback in the decision-making process. The final decision on whether to approve a transfer is made by the EP in the ETCC. Therefore, the ETCC physician, with their insight as an emergency medicine expert, integrates the information collected by the coordinator to determine the costbenefit of the transfer. The ETCC protocol dictates that transfers be approved only if there is sufficient capacity in the ED.
Figure 1. Flowchart of an emergency transfer coordination center decision-making process. EHR, electronic health record; OR, operating room; ED, emergency department; ICU, intensive care unit; ETCC, emergency transfer coordination center.
While the ETCC protocol commands that transfers be approved only if there is sufficient capacity, emergency transfers in the catchment area are approved regardless of admitting unit availability if primary stabilization is determined to be the highest priority. Transfers may be rejected for the following reasons: 1) the ED is crowded and cannot provide adequate treatment for transferred patients, 2) ICU admission is not available, 3) there is a lack of essential emergency equipment or a specialist, or 4) the transfer is regarded inappropriate, ie, a non-emergency transfer that does not require primary stabilization in the ED.16
We extracted data from the ED’s ETCC transfer registry, which collects data including age, gender, time of ED visit, insurance status, the patient’s location at the transferring hospital, presence of trauma, whether ICU admission is required, the Korean Triage and Acuity Scale score (KTAS), disposition time, boarding time, and confirmed diagnosis at the transferring hospital. The patient’s location at the transferring hospital is classified based on whether the patient was transferred to the ward, ICU, ED, or outpatient unit.17 The KTAS is an index based on a scale of 1–5 that reflects the severity of a patient’s condition with 1 being the most critical.18
Variables such as ED crowding index, ICU category, and ICU crowding index were collected from the clinical
research analysis portal operated by the medical information department at the hospital. The ICU crowding index is the ratio of the number of patients admitted to the ICU to the total number of ICU beds when the transferred patient arrives at the ED. The ED crowding index is calculated based on the number of ED patients at the time of arrival.16 These indexes are recorded automatically in real time. The ICU category was classified into five types as follows: internal medical ICU; surgical ICU; stroke unit (SU); heart care unit (HCU); and neurosurgical ICU (NCU).
The primary outcome was ED LOS. The ED LOS is the sum of ED evaluation time and ED boarding time. Evaluation time is defined as the time from a patient’s arrival at the ED to when the decision to admit is made. The ED boarding time is defined as the time from when the decision to admit is made to the time of admission to the ICU. Patient transfer without ETCC approval includes those patients refused by ETCC and those transferred without contact with ETCC.
Categorical variables are described as numbers and percentages, and continuous variables are recorded as medians and interquartile ranges. To control for confounders, we employed the propensity score matching method. For propensity score matching, variables that affected the ED
LOS and study exposure were selected, with reference to previous studies.16,19 To compare non-matching data between two groups we performed an independent t-test on continuous variables, and chi-square or Fisher’s exact test on categorical variables. We then performed a paired t-test for continuous variables and McNemar’s test for categorical variables. The primary outcome was compared using the Wilcoxon signedrank test. Standardized difference is a number that indicates how well each variable is in balance between two groups, and it was judged to be imbalanced by more than 20%. A P-value < 0.05 was considered statistically significant. We performed all statistical analyses using SAS software, version 9.4 (SAS Institute, Cary, NC).
From January 2019–December 2020, 184,117 patients visited the ED under investigation. A total of 16,618 patients (9%) were from other hospitals, and among them, 1,142 patients were admitted to the ICU. After excluding pediatric patients <18 years old, 1,097 patients were finally enrolled (Figure 2). Of the included 1,097 patients, 306 were transferred with prior ETCC approval, accounting for 27.9% of the total patients. A total of 791 patients were transferred without the approval of ETCC.
Table 2 presents the ED evaluation time and boarding time between the two groups in the matching population. The median time of ED LOS was 277 (162,509) minutes in the group with ETCC approval, and 385 (232, 676) minutes in the group without ETCC approval, which is a statistically significant difference (P-value <0.001). Additionally, it was confirmed that the decrease in the median value of evaluation time (62 minutes) was greater than the decrease in the boarding time (seven minutes) in the group with ETCC approval.
We performed additional analysis of the matched population for whom ICU admission was predicted in advance by the ETCC (Table 3). In the predicted ICU population, the ED evaluation time in the group with ETCC approval was 71 (46,205) minutes, and the ED evaluation time in the group without ETCC approval was 264 (136,492) minutes, which was statistically significant (P-value < 0.02). The decrease in the median value of the boarding time was 98 minutes from 181 minutes in the group with ETCC approval to 83 minutes in the group without ETCC approval.
Figure 3 shows the distribution of the study outcome based on ICU category in the entire population. In all ICU categories, the decrease in evaluation time was greater than that of the ED boarding time. The median value of ED LOS of patients admitted to the surgical ICU, SU and HCUs were significantly lower in the group with ETCC approval. The subgroup with the least amount of decrease in ED evaluation time was patients admitted to the NCU.
Figure 2. Flowchart of patient inclusion. ICU, intensive care unit; ETCC, emergency transfer coordination center.
The baseline characteristics between the two groups are shown in Table 1. The variables include the ICU crowding index, ICU category, location, confirmed diagnosis at transferring hospital, and KTAS. Arrival on working hours differed significantly between the two groups. The differences of these variables were controlled except for location at transferring hospital after matching. Finally, we extracted 241 matching data from both groups (Table 1).
Based on the above analysis, we found that prior coordination by ETCC can reduce the ED LOS for emergency transfer patients who require ICU admission. In particular, the decrease in ED evaluation time was found to be remarkable. Length of stay in the ED is largely divided into evaluation time and boarding time, and the factors affecting each are different.20 For patients approved for transfer by ETCC, continuous evaluation across two hospitals is possible because the results of patient assessment in the referring hospital are shared with the referred hospital This way, the referred hospital can avoid the repetitive consumption of resources for patient evaluation, enabling the EP to quickly determine the patient’s disposition. In addition, various delays occurring in the emergency management process can be reduced. When there is no prior recognition of a patient who has been transferred without ETCC approval, triage must be conducted. The urgency of the patient’s condition cannot be known before triage, which could increase the wait time. In addition, the ED bed for the transferred patient may not be ready due to ED crowding. Furthermore, the surgeon who is to perform the emergency surgery may be performing another operation or the OR may be unavailable. In other words, approval by the ETCC lets throughput progress quickly in the referred hospital, which reduces the ED LOS.
Volume 23, no. 6: November 2022 849 Western Journal of Emergency Medicine
Table 1. Baseline characteristics before and after matching.
Before matching
Variable (Mean ±SD or n (%)
Without ETCC approval (n=791)
With ETCC approval (n=306) ASD
Without ETCC approval (n=241)
After matching
With ETCC approval (n=241) ASD
Age (years) 64.52±15.93 66.57±14.81 13.3 66.1816.15 65.92±14.80 1.69
ED crowding index 54.48±15.18 50.92±13.80 24.54 52.57±15.03 52.04±14.10 3.62
ICU crowding index 0.74±0.19 0.70±0.18 26.8 0.72±0.18 0.71±0.17 3.22
Gender, male 461 (58.28) 174 (56.86) 2.87 139 (57.68) 141 (58.51) 1.68 ICU category 53.91 12.25
Internal medical ICU 82 (10.37) 28 (9.15) 22 (9.13) 26 (10.79) Surgical ICU 64 (8.09) 36 (11.76) 24 (9.96) 25 (10.37)
HCU 275 (34.77) 169 (55.23) 126 (52.28) 118 (48.96) SU 232 (29.33) 36 (11.76) 41 (17.01) 36 (14.94) NCU 138 (17.45) 37 (12.09) 28 (11.62) 36 (14.94)
Location at referring hospital 119.57 98.32
ED 261 (33.0) 240 (78.43) 98 (40.66) 183 (75.93) Ward 143 (18.08) 49 (16.01) 39 (16.18) 44 (18.26) ICU 98 (12.39) 10 (3.27) 31 (12.86) 7 (2.90) Other 289 (36.54) 7 (2.29) 73 (30.29) 7 (2.90) Trauma 39 (4.93) 12 (3.92) 4.91 12 (4.98) 11 (4.56) 1.95
Confirmed diagnosis at referring hospital 344 (43.49) 206 (67.32) 49.38 143 (59.34) 142 (58.92) 0.84
KTAS 31.35 13.45
1 67 (8.47) 31 (10.13) 25 (10.37) 29 (12.03) 2 254 (32.11) 138 (45.10) 92 (38.17) 99 (41.08) 3 399 (50.44) 119 (38.89) 108 (44.81) 97 (40.25) 4 54 (6.83) 13 (4.25) 10 (4.15) 12 (4.98) 5 17 (2.15) 5 (1.63) 6 (2.49) 4 (1.66)
Insurance type 16.39 4.39
Korea Medicaid type I 34 (4.30) 12 (3.92) 15 (6.22) 11 (4.56) Korea Medicaid type II 5 (0.63) 1 (0.33) 1 (0.41) 1 (0.41)
National insurance 733 (92.67) 285 (93.14) 220 (91.29) 222 (92.12) No insurance 8 (1.01) 2 (0.65) 2 (0.83) 2 (0.83)
Motor vehicle insurance 11 (1.39) 6 (1.96) 3 (1.24) 5 (2.07)
Arrival on regular timea 380 (48.04) 83 (27.12) 44.23 74 (30.71) 78 (32.37) 3.57
COVID-19 periodb 273 (34.51) 116 (37.91) 7.07 97 (40.25) 94 (39.00) 2.55
SD, standard deviation; ETCC, emergency transfer coordination center; ASD, absolute standardized difference, ED, emergency department; ICU, intensive care unit, HCU, heart care unit; SU, stroke unit; NCU, neurosurgical intensive care unit; KTAS, Korean triage and acuity scale.
aRegular time: 9 AM to 6 pm, except weekends and holidays. bCOVID-19 period: from 2020.01.27.
Availability of ICU beds can also be confirmed in advance for approval of emergency transfer of critically ill patients. However, approval of transfer over the risk of insufficient ICU beds can occur since primary stabilization of the referred patient takes priority in protocol. In such cases, an ED outflow block to the ICU occurs, which leads to a prolonged boarding time
due to issues such as unapproved transfers.7,21 Nevertheless, it can still be beneficial in reducing ETCC-related evaluation time. In addition, predicted ICU admission at the transfer coordination stage in the referring hospital was only 20% of the matching population, while the decision to admit the remaining patients to the ICU was made only after being transferred
Table 2. Comparison of outcomes between two groups in the matching population
Outcomes
Without ETCC approval n = 241
With ETCC approval n = 241 P-value
ED LOS median (Q1, Q3) 385 (232, 676) 277 (162, 509) < 0.001
Evaluation time median (Q1, Q3) 212 (119, 398) 148 (68, 302) 0.004
Boarding time median (Q1, Q3) 104 (54, 318) 97 (52, 192) 0.027
ED LOS, emergency department length of stay; ETCC, emergency transfer coordination center. All outcomes were analyzed using the Wilcoxon rank-sum test.
Table 3. Comparison of outcomes between two groups in the intensive care unit predicted population
Outcomes
Without ETCC approval n = 16
With ETCC approval n = 16 P-value
ED LOS median (Q1, Q3) 454.5 (274.5, 781.5) 234 (121, 349.5) 0.063
Evaluation time median (Q1, Q3) 264 (136, 492) 71 (46, 205) 0.018
Boarding time median (Q1, Q3) 181 (74, 339.5) 83 (57.5, 189) 0.348
ED LOS, emergency department length of stay; ETCC, emergency transfer coordination center. All outcomes were analyzed using the Wilcoxon rank-sum test.
to the referred ED. For the majority of patients, ICU bed availability is not considered in the approval decision process because ICU admission is not predicted during the coordination phase. Meanwhile, in the subgroup where ICU admission was predicted in advance, we found that the ETCC not only reduced the median evaluation time but the boarding time as well from 181 minutes to 83 minutes. These findings may explain why the effect of the ETCC on reducing ED evaluation time was greater compared to ED boarding time.
Since the hospital where we conducted this study has different ICUs depending on the type of care required, the ICU category represents the clinical characteristics of each population. In particular, since the ICU category variable has shown a strong standard difference based on ETCC approval before matching, we also examined the effect of ETCC for subgroups based on the clinical characteristics of patients for sensitivity analysis. This subgroup analysis confirmed that the decrease in the median evaluation time was greater than that of boarding time regardless of patient characteristics, which was consistent with the direction of our study’s primary
outcome. Furthermore, we found that the median evaluation time of patients in all ICU categories except the NCU was reduced by more than 100 minutes in the group with ETCC approval. The disposition of patients in need of neurosurgical intervention can be determined relatively quickly even without knowing the test results or diagnosis performed in the referring hospital because the neurosurgical intervention is determined by the single modality of brain computed tomography in the ED.22 Meanwhile, for patients in other categories, multiple diagnostic modalities and resources are required to determine patient disposition in the ED. Therefore, we believe that continuous emergency care from the referring hospital by ETCC resulted in relatively shortened evaluation time of patient disposition.
Since it can be extremely difficult for all EDs in the catchment area to accommodate critically ill patients, an efficient emergency medical system needs to be developed so that unstable patients in the area can be assigned to advanced EDs.11 As a result, many critically ill patients can be transferred from other hospitals to the higher acuity ED.16 Emergency care for such patients requires more resources and time, and prolonged ED LOS in critically ill patients has been reported to adversely affect patient prognosis.4,23,24 Previous studies have emphasized the importance of timely information-sharing between referring and referred hospitals to reduce the effort expended by EPs in referred hospitals.12,25,26
In addition, the transfer approval process for unstable emergency patients imposes a lot of pressure on the EP, which could compromise the quality of care.13 Therefore, in high acuity EDs, which play a major role in managing critically ill patients in the catchment area, a formal system such as an ETCC can conduct the optimal coordination of emergency transfers, which in turn can contribute to reducing the ED evaluation time for critically ill patients in the referred hospital. The ETCC can also help minimize the work load of EPs during the transfer process, allowing them to focus solely on accurately selecting patients who need transfer and treating them.16
Although the present study reveals important findings, it has several limitations. Since it was conducted in a tertiary hospital within a single institution, it may be difficult to generalize the results. This study may not be applicable to small and medium-sized hospitals without an ICU or for nonurban hospitals. Additionally, there is a possibility of bias due to the retrospective observational design of the study. In the subgroup analysis, since patients were divided into five ICU categories, the number of each group became smaller. For this reason, the results confirmed through subgroup analysis do not present strong evidence. Therefore, to analyze the effects of an emergency transfer coordination center in varied patient populations, additional studies with a larger number of patients are needed. Lastly, the ED LOS, which is the primary outcome in this study, is not a direct clinical index
Figure 3. Distribution of outcomes based on intensive care unit category in the entire population. ETCC, emergency transfer coordination center.
unlike mortality or morbidity. Therefore, subsequent studies are needed to evaluate whether an ETCC can help improve clinical outcomes.
Prolonged length of stay in the ED lowers patient satisfaction and can cause clinical issues in critically ill patients. Therefore, it is crucial to reduce ED LOS in healthcare systems for optimum patient care and safety. The presence of an ETCC, as analyzed in this study, can be helpful in systematically reducing LOS in tertiary hospitals with severe ED crowding.
7. Rabin E, Kocher K, McClelland M, et al. Solutions to emergency department ‘boarding’ and crowding are underused and may need to be legislated. Health Aff (Millwood). 2012;31(8):1757-66.
8. Jo S, Jeong T, Jin YH, et al. ED crowding is associated with inpatient mortality among critically ill patients admitted via the ED: post hoc analysis from a retrospective study. Am J Emerg Med 2015;33(12):1725-31.
9. Durie ML, Darvall JN, Hadley DA, et al. A “Code ICU” expedited review of critically ill patients is associated with reduced emergency department length of stay and duration of mechanical ventilation. J Crit Care. 2017;42:123-8.
10. Kim JH, Kim MJ, You JS, et al. Do emergency physicians improve the appropriateness of emergency transfer in rural areas? J Emerg Med 2018;54(3):287-94.
Address for Correspondence: Ji Hoon Kim, MD, MPH, PhD, Yonsei University College of Medicine, Department of Emergency Medicine, Yonsei-ro, Seodaemun-gu, Seoul, Republic of Korea 03722. Email: jichoon81@yuhs.ac.
Conflicts of Interest: By the WestJEM article submission agreement, all authors are required to disclose all affiliations, funding sources and financial or management relationships that could be perceived as potential sources of bias. No author has professional or financial relationships with any companies that are relevant to this study. There are no conflicts of interest or sources of funding to declare.
Copyright: © 2022 Moon et al. This is an open access article distributed in accordance with the terms of the Creative Commons Attribution (CC BY 4.0) License. See: http://creativecommons.org/ licenses/by/4.0/
11. Peth HA, Jr. The Emergency Medical Treatment and Active Labor Act (EMTALA): guidelines for compliance. Emerg Med Clin North Am 2004;22(1):225-40.
12. Warren J, Fromm RE Jr, Orr RA, et al. Guidelines for the interand intrahospital transport of critically ill patients. Crit Care Med 2004;32(1):256-62.
13. Gillman L, Jacobs I, Fatovich DM. Challenges in arranging interhospital transfer from a non-tertiary hospital emergency department in the Perth metropolitan area. Emerg Med Australas 2014;26(6):567-72.
14. Panchal AR, Gaither JB, Svirsky I, et al. The impact of professionalism on transfer of care to the emergency department. J Emerg Med. 2015;49(1):18-25.
15. Hayden EM, Boggs KM, Espinola JA, et al. Telemedicine facilitation of transfer coordination from emergency departments. Ann Emerg Med. 2020;76(5):602-8.
1. Liu SW, Thomas SH, Gordon JA, et al. A pilot study examining undesirable events among emergency department-boarded patients awaiting inpatient beds. Ann Emerg Med. 2009;54(3):3781-385.
2. Zhang Z, Bokhari F, Guo Y, et al. Prolonged length of stay in the emergency department and increased risk of hospital mortality in patients with sepsis requiring ICU admission. Emerg Med J 2019;36(2):82-7.
3. McCusker J, Vadeboncoeur A, Lévesque JF, et al. Increases in emergency department occupancy are associated with adverse 30day outcomes. Acad Emerg Med. 2014;21(10):1092-100.
4. Morley C, Unwin M, Peterson GM, et al. Emergency department crowding: a systematic review of causes, consequences and solutions. PLoS One. 2018;13(8):e0203316.
5. Tekwani KL, Kerem Y, Mistry CD, et al. Emergency department crowding is associated with reduced satisfaction scores in patients discharged from the emergency department. West J Emerg Med 2013;14(1):11-5.
6. Di Somma S, Paladino L, Vaughan L, et al. Overcrowding in emergency department: an international issue. Intern Emerg Med 2015;10(2):171-5.
16. Kim EN, Kim MJ, You JS, et al. Effects of an emergency transfer coordination center on secondary overtriage in an emergency department. Am J Emerg Med. 2019;37(3):395-400.
17. Solberg LI, Asplin BR, Weinick RM, et al. Emergency department crowding: consensus development of potential measures. Ann Emerg Med. 2003;42(6):824-34.
18. Kwon H, Kim YJ, Jo YH, et al. The Korean Triage and Acuity Scale: associations with admission, disposition, mortality and length of stay in the emergency department. Int J Qual Health Care 2019;31(6):449-55.
19. Ok M, Choi A, Kim MJ, et al. Emergency short-stay wards and boarding time in emergency departments: a propensity-score matching study. Am J Emerg Med. 2020;38(12):2495-9.
20. Perimal-Lewis L, Ben-Tovim DI, Li JY, et al. Emergency department lengths of stay: characteristics favouring a delay to the admission decision as distinct from a delay while awaiting an inpatient bed. Intern Med J. 2014;44(4):384-9.
21. McKenna P, Heslin SM, Viccellio P, et al. Emergency department and hospital crowding: causes, consequences, and cures. Clin Exp Emerg Med. 2019;6(3):189-95.
22. Tonui PM, Spilman SK, Pelaez CA, et al. Head CT before transfer does not decrease time to craniotomy for TBI Patients. Am Surg
Effects of ETCC on Length of Stay of Critically Ill Patients in the ED Moon et al. 2018;84(2):201-7.
23. Peltan ID, Bledsoe JR, Oniki TA, et al. Emergency Department crowding is associated with delayed antibiotics for sepsis. Ann Emerg Med. 2019;73(4):345-55.
24. Bellow AA Jr, Gillespie GL. The evolution of ED crowding. J Emerg Nurs. 2014;40(2):153-60.
25. Malpass HC, Enfield KB, Keim-Malpass J, et al. The interhospital
medical intensive care unit transfer instrument facilitates early implementation of critical therapies and is associated with fewer emergent procedures upon arrival. J Intensive Care Med 2015;30(6):351-7.
26. Wagner J, Iwashyna TJ, Kahn JM. Reasons underlying interhospital transfers to an academic medical intensive care unit. J Crit Care 2013;28(2):202-8.
Michael Dan Arvig, MD, PhD*†‡
Christian Backer Mogensen, MD, PhD§||
Helene Skjøt-Arkil, PhD§||
Isik Somuncu Johansen, MD, DMSc#¶**
Flemming Schønning Rosenvinge, MD††‡‡
Annmarie Touborg Lassen, MD, PhD, DMScत
*
Slagelse Hospital, Department of Emergency Medicine, Slagelse, Denmark University of Copenhagen, Department of Clinical Medicine, Copenhagen, Denmark University of Southern Denmark, Department of Clinical Research, Odense, Denmark University Hospital of Southern Denmark, Department of Emergency Medicine, Aabenraa, Denmark University of Southern Denmark, Department of Regional Health Research, Odense, Denmark Odense University Hospital, Department of Infectious Diseases, Odense, Denmark Continued at end of article
Section Editor: Cortlyn Brown, MD
Submission history: Submitted February 1, 2022; Revision received September 4, 2022; Accepted September 10, 2022 Electronically published October 31, 2022
Full text available through open access at http://escholarship.org/uc/uciem_westjem
DOI: 10.5811/westjem.2022.9.56332.
Introduction: Knowledge about the relationship between symptoms, diagnoses, and mortality in emergency department (ED) patients is essential for the emergency physician to optimize treatment, monitoring, and flow. In this study, we investigated the association between symptoms and discharge diagnoses; symptoms and mortality; and we then analyzed whether the association between symptoms and mortality was influenced by other risk factors.
Methods: This was a population-based, multicenter cohort study of all non-trauma ED patients ≥18 years who presented at a hospital in the Region of Southern Denmark between January 1, 2016–March 20, 2018. We used multivariable logistic regression to examine the association between symptoms and mortality adjusted for other risk factors.
Results: We included 223,612 ED visits with a median patient age of 63 and even distribution of females and males. The frequency of the chief complaints at presentation were as follows: nonspecific symptoms (19%); abdominal pain (16%); dyspnea (12%); fever (8%); chest pain (8%); and neurologic complaints (7%). Discharge diagnoses were symptom-based (24%), observational (hospital visit for observation or examination, 17%), circulatory (12%), or respiratory (12%). The overall 30-day mortality was 3.5%, with 1.7% dead within 0-7 days and 1.8% within 8-30 days. The presenting symptom was associated with mortality at 0-7 days but not with mortality at 8-30 days. Patients whose charts were missing documentation of symptoms (adjusted odds ratio [aOR] 3.5) and dyspneic patients (aOR 2.4) had the highest mortality at 0-7 days across patients with different primary symptoms. Patients ≥80 years and patients with a higher degree of comorbidity had increased mortality from 0-7 days to 8-30 days (aOR from 24.0 to 42.7 and 1.9 to 2.8, respectively).
Conclusion: Short-term mortality was more strongly associated with patient-related factors than with the primary presenting symptom at arrival to the hospital. [West J Emerg Med. 2022;23(6)855–863.]
A patient presents at a hospital with one or more chief complaints.1 The initial triage and work-up are primarily driven by the patient’s symptoms, whereas the patient’s final diagnosis and prognosis determine the subsequent evaluation and monitoring.2 Acute diagnostic decisions are based on symptoms, objective findings, and patient-related factors such as age, comorbidity, and lifestyle factors. Therefore, it is essential to have a systematic knowledge of the associations between complaints, diagnoses, and prognostic outcomes (eg, mortality, readmissions, and length of stay). Furthermore, this understanding can support the clinician in prioritizing resources and logistics in the emergency department (ED) and potentially prevent unsuspected deterioration.
Several studies have investigated the relationship between presenting symptoms and prognostic outcomes, but the studies are either too small,3–5 focus on specific patient categories,6 or specific symptoms.7 Other studies focus on the prehospital setting, where the approach to patients can differ from the hospital setting and not all patients are admitted.8,9 Thus, the current research is inadequate to establish generalizability for the attending emergency physician to handle the daily flow, crowding, and assessment of ED patients.
We conducted a population-based, multicenter cohort study among adult, non-trauma ED patients arriving at a hospital in the Region of Southern Denmark (RSD) from January 2016–March 2018. The research objectives were as follows: 1) describe the proportions of the most common symptoms and underlying diagnoses; 2) analyze the association between symptoms and mortality at 0-7 and 8-30 days; and 3) analyze whether other risk factors influenced the association between symptoms and mortality.
The study was a population-based, multicenter, dynamic cohort study of all non-trauma ED visits at hospitals in the RSD, covering a population of 1.2 million citizens.10 Data was collected from seven departments between January 1, 2016–March 20, 2018 The EDs provided 24-hour care and received patients referred from an ambulance or a primary care physician. In Denmark, referral is mandatory, and healthcare is tax-funded with free and equal access. We followed the Strengthening the Reporting of Observational Studies in Epidemiology Statement (STROBE) (Appendix 1).11
We included non-trauma ED patients ≥18 years who arrived at a hospital. Registered visits without a unique Danish civil registration number (CRN) were excluded because the visits could not be linked to other national registers.
Patients presenting at a hospital in the RSD were triaged by a nurse. Triage was done using the Danish Emergency
What do we already know about this issue? The relationship between symptoms, diagnoses, and prognosis of the ED patient is currently insufficient for handling flow, crowding, and acute patient care.
What was the research question? What is the association between symptoms, diagnoses, and mortality in a cohort of adult, non-trauma patients arriving at an ED?
What was the major finding of the study? Visits to the ED are often due to non-specific symptoms, and age and comorbidity are most strongly associated with mortality.
How does this improve population health? Recognizing age and comorbidity as important risk factors in patient evaluation is essential to improve patient care and logistics in the ED.
Process Triage (DEPT).12,13 Based on presenting complaints and vital signs, DEPT categorizes the patient into five degrees: red (life-threatening); orange (critical); yellow (stable but potentially unstable); green (stable); and blue (unaffected). In addition, the same nurse registered the patient’s primary complaint from a limited number of predefined possibilities at arrival. In some instances, a patient could not be attached to a specific symptom and was instead categorized as having non-specific symptoms (eg, patients who were unable to express their complaints sufficiently). It is important to use non-specific symptoms as an exclusions category and not an operational definition; otherwise, it would require an exhaustive list of possible subcategories.14
Information about the patient’s CRN, presenting symptoms, and triage level was drawn from the patient administrative system. Each patient visit was linked to the Danish Civil Registration System and the Danish National Patient Registry,15,16 from which we extracted data about gender, age, time of death, admission, and the discharge date, and the discharge diagnoses (based on the International Classification of Diseases, 10th Rev.) assigned by a physician. The Charlson Comorbidity Index (CCI) was calculated from the prior 10 years of diagnoses before the index date.17 According to clinical judgment and based on similar studies, we further divided CCI into three levels (0, 1, ≥2 points) according to the degree of comorbidity, and we grouped age into three subgroups (18-49, 50-79, and ≥80 years).8,18 Mortality was divided into 0-7 days and 8-30 days since the association between mortality and the degree of acuteness plus abnormal vital signs
at admission is known to decrease after seven days.17 In patients with more than one admission registered, the date of the first admission was used as the index date for calculating the absolute and relative mortality.
We summarized continuous variables as medians and interquartile range (IQR). Symptoms, diagnoses, and mortality were described as frequencies and percentages of the total sample. We tested the association between symptoms and mortality with a logistic regression model to obtain crude odds ratios (cOR) and adjusted odds ratios (aOR) for possible other risk factors (age, gender, CCI, time of arrival, and day of arrival). Patients were followed to death, emigration, or 30 days following index date, whichever came first. We handled missing values regarding symptoms as independent variables in a separate group. We performed a post-hoc analysis of mortality at 31-365 days to explore whether the general pattern was still present. All statistical analyses were done with STATA version 17.0 (StataCorp, College Station, TX).
The Danish Patient Safety Authority approved the study (identifier 3-3013-2272/1). The RSD permitted data storage (identifier 17/24904, amendment identifier 20/24502). All data were stored, secured, and managed according to the laws and regulations in the General Data Protection Regulation and the Danish Data Protection Act.19,20 According to the Act on Research Ethics Review of Health Research Projects, registerbased studies do not require approval from the research ethics committee system.21
Of the 432,882 ED visits sampled, 7,583 without a CRN (foreign or immigrated patients) were excluded (Figure 1). We also removed trauma patients (12,533) and patients with minor injuries (189,154) from the analysis because they were handled by a trauma team or evaluated in a fast-track system. Thus, 223,612 ED visits were included in the final analysis. The median age was 63 years, with an even distribution of females and males (Table 1). Most patients arrived MondayFriday during the day and were triaged yellow. About one third of the patients had one or more comorbidities.
The most frequent symptoms on arrival were non-specific (19.3%), abdominal pain (16.3%), dyspnea (11.8%), fever (8.3%), chest pain (7.7%), and neurological complaints (6.6%). Within these six symptom categories, patients did not vary regarding gender, age, and comorbidities. In 17.1% of the patients, other symptoms were present in <3% individually. The remaining 12.9% of the patients lacked documentation of their primary complaints. These patients differed from the
Figure 1. Flow diagram of the selection of adult non-trauma emergency department patients arriving at a hospital in the Region of Southern Denmark between 2016-2018, and the distribution of patients according to the most frequent chief symptoms at arrival. 1Other symptoms have an individual percentage < 3% and consists of the following : palpitations (5,107 [2.2%]), fainting (4,802 [2.1%]), gastrointestinal bleeding (4,407 [2.0%]), surgical abscess (3,016 [1.32%]), unconsciousness (2,964 [1.3%]), genital tract bleeding (2,915 [1.3%]), poisoning (2,554 [1.1%]), convulsions (2,525 [1.1%]), diarrhea or/and vomiting (2,027 [0.9%]), back pain (1,650 [0.7%]), headache (1,643 [0.7%]), allergy/anaphylaxis (964 [0.4%]), fall (887 [0.4%]), pain in the scrotum (884 [0.4%]), withdrawal (719 [0.3%]), dysphagia (377 [0.2%]), delirium (374 [0.2%]), cardiac arrest (189 [0.1%]), dizziness (165 [0.1%]), acute psychosis (130 [0.1%]), symptoms from the urinary tract (110 [0.1%]), peripheral edema (76 [0.0%]), high blood pressure (69 [0.0%]), and septic (19 [0.0%]). Abd, abdominal; CRN, civil registration number.
other patients by missing triage, younger age, more females, and fewer comorbidities.
The most frequent discharge diagnoses were symptombased diagnosis (24.0%), observational diagnosis (hospital visit for observation or examination [16.9%]), diseases of the circulatory system (11.9%), and respiratory system (11.7%) (Table 2). We also saw this general pattern between the different symptoms; however, differences were present regarding the organ-based diagnoses. The overall 30-day mortality was 3.5%, with mortality at 0-7-days and 8-30 days of 1.7% and 1.8%, respectively. The mortality at 31-365 days was 6.4%. Patients with dyspnea had the highest absolute mortality—overall and subdivided into mortality at 0-7 days and 8-30 days (Table 1).
Male gender, age ≥50 years, CCI ≥2, arrival on the weekend, arrival in the evening, and at night increased mortality at 0-7 days. However, only age (adjusted odds ratio [aOR] for 50-79 years and ≥80 years doubled) and
Table 1. Characteristics of the adult non-trauma emergency department patients arriving at a hospital in the Region of Southern Denmark between 2016-2018.
Total
Nonspecific symptoms Abdominal pain Dyspnea Fever Chest pain Neurologic complaints Others1 Missing registration
Total, N (%) 223,612 (100.0) 43,246 (19.3) 36,490 (16.3) 26,328 (11.8) 18,542 (8.3) 17,177 (7.7) 14,762 (6.6) 38,291 (17.1) 28,776 (12.9)
Female 115,902 (51.8) 21,745 (50.3) 21,091 (57.8) 13,732 (52.2) 8,694 (46.9) 7,976 (46.4) 7,480 (50.7) 19,394 (50.6) 15,790 (54.9)
Male 107,710 (48.2) 21,501 (49.7) 15,399 (42.2) 12,596 (47.8) 9,848 (53.1) 9,201 (53.6) 7,282 (49.3) 18,897 (49.4) 12,986 (45.1)
Age, years, median (IQR) 63 (44-77) 68 (51-79) 52 (34-70) 72 (6181) 70 (54-80) 61 (48-74) 66 (50-77) 60 (3975) 54 (33-71)
Age groups (years)
18-49 69,778 (31.2) 10,238 (23.7) 16,965 (46.5) 3,553 (13.5) 3,867 (20.9) 4,822 (28.1) 3,504 (23.7) 14,114 (36.9) 12,715 (44.2)
50-79 110,527 (49.4) 22,249 (51.4) 15,625 (42.8) 14,880 (56.5) 9,809 (52.9) 9,734 (56.7) 8,307 (56.3) 17,273 (45.1) 12,650 (44.0)
≥80 43,307 (19.4) 10,759 (24.9) 3,900 (10.7) 7,895 (30.0) 4,866 (26.2) 2,621 (15.3) 2,951 (20.0) 6,904 (18.0) 3,411 (11.9)
Charlson Comorbidity Index
0 136,978 (61.3) 24,626 (56.9) 25,956 (71.1) 8,841 (33.6) 9,187 (49.5) 11,904 (69.3) 10,371 (70.3) 25,865 (67.5) 20,228 (70.3)
1 28,101 (12.6) 5,191 (12.0) 3,423 (9.4) 7,405 (28.1) 2,515 (13.6) 1,854 (10.8) 1,388 (9.4) 3,575 (9.3) 2,750 (9.6)
≥2 58,533 (26.2) 13,429 (31.1) 7,111 (19.5) 10,082 (38.3) 6,840 (36.9) 3,419 (19.9) 3,003 (20.3) 8,851 (23.1) 5,798 (20.1)
Triage level2
Red (lifethreatening) 5,966 (2.7) 785 (1.8) 222 (0.6) 1,559 (5.9) 426 (2.3) 165 (1.0) 586 (4.0) 1,547 (4.0) 676 (2.3)
Orange (unstable) 40,397 (18.1) 6,187 (14.3) 3,378 (9.3) 6,411 (24.4) 2,936 (15.8) 6,684 (38.9) 3,653 (24.7) 8,840 (23.1) 2,308 (8.0)
Yellow (potentially unstable))
76,806 (34.3) 14,390 (33.3) 18,177 (49.8) 11,094 (42.1) 9,389 (50.6) 3,440 (20.0) 4,285 (29.0) 12,445 (32.5) 3,586 (12.5)
Green (stable) 66,522 (29.7) 17,491 (40.4) 12,774 (35.0) 6,041 (22.9) 5,110 (27.6) 5,137 (29.9) 5,052 (34.2) 11,709 (30.6) 3,208 (11.1)
Missing 33,921 (15.2) 4,393 (10.2) 1,939 (5.3) 1,223 (4.6) 681 (3.7) 1,751 (10.2) 1,186 (8.0) 3,750 (9.8) 18,998 (66.0)
Day of arrival
Values are numbers (%), unless otherwise noted.
1Other symptoms have an individual percentage < 3% and consists of the following symptoms: palpitations (5,107 [2.2%]), fainting (4,802 [2.1%]), gastrointestinal bleeding (4,407 [2.0%]), surgical abscess (3,016 [1.32%]), unconsciousness (2,964 [1.3%]), genital tract bleeding (2,915 [1.3%]), poisoning (2,554 [1.1%]), con-vulsions (2,525 [1.1%]), diarrhea or/and vomiting (2,027 [0.9%]), back pain (1,650 [0.7%]), headache (1,643 [0.7%]), allergy/anaphylaxis (964 [0.4%]), fall (887 [0.4%]), pain in the scrotum (884 [0.4%]), withdrawal (719 [0.3%]), dysphagia (377 [0.2%]), delirium (374 [0.2%]), cardiac arrest (189 [0.1%]), dizziness (165 [0.1%]), acute psychosis (130 [0.1%]), symptoms from the urinary tract (110 [0.1%]), peripheral edema (76 [0.0%]), high blood pressure (69 [0.0%]), and septic (19 [0.0%]).
2Triage is categorized into levels depending on the patient’s presenting complaint(s) and the vital signs.
3Mortality is calculated for the first visit at a hospital because some patients were admitted several times during the inclusion period. IQR, interquartile range; ED, emergency department.
Table 1. Continued.
Total
Nonspecific symptoms Abdominal pain Dyspnea Fever Chest pain
Neurologic complaints Others1 Missing registration
MondayThursday 137,412 (61.5) 26,750 (61.9) 22,275 (61.0) 15,981 (60.7) 11,099 (59.9) 10,429 (60.7) 9,181 (62.2) 22,409 (58.5) 19,288 (67.0) FridaySunday 86,200 (38.5) 16,496 (38.1) 14,215 (39.0) 10,347 (39.3) 7,443 (40.1) 6,748 (39.3) 5,581 (37.8) 15,882 (41.5) 9,488 (33.0)
Time of arrival
8 AM - 3.59 PM 122,862 (54.9) 24,627 (56.9) 18,959 (52.0) 13,910 (52.8) 9,687 (52.2) 8,143 (47.4) 8,690 (58.9) 20,875 (54.5) 17,971 (62.5)
4 PM11.59 PM 71,615 (32.0) 14,467 (33.5) 12,446 (34.1) 8,235 (31.3) 6,883 (37.1) 5,524 (32.2) 4,872 (33.0) 12,194 (31.8) 6,994 (24.3)
12 AM -7.59 AM 29,135 (13.0) 4,152 (9.6) 5,085 (13.9) 4,183 (15.9) 1,972 (10.6) 3,510 (20.4) 1,200 (8.1) 5,222 (13.6) 3,811 (13.2)
0-7-days mortality 1,991 (1.7) 357 (1.6) 147 (0.7) 389 (3.4) 159 (1.7) 60 (0.6) 107 (1.2) 372 (1.8) 400 (2.5) 8-30-days mortality 2,125 (1.8) 571 (2.6) 220 (1.1) 448 (3.9) 246 (2.7) 55 (0.5) 122 (1.3) 296 (1.4) 167 (1.0)
Values are numbers (%), unless otherwise noted.
1Other symptoms have an individual percentage < 3% and consists of the following symptoms: palpitations (5,107 [2.2%]), fainting (4,802 [2.1%]), gastrointestinal bleeding (4,407 [2.0%]), surgical abscess (3,016 [1.32%]), unconsciousness (2,964 [1.3%]), genital tract bleeding (2,915 [1.3%]), poisoning (2,554 [1.1%]), con-vulsions (2,525 [1.1%]), diarrhea or/and vomiting (2,027 [0.9%]), back pain (1,650 [0.7%]), headache (1,643 [0.7%]), allergy/anaphylaxis (964 [0.4%]), fall (887 [0.4%]), pain in the scrotum (884 [0.4%]), withdrawal (719 [0.3%]), dysphagia (377 [0.2%]), delirium (374 [0.2%]), cardiac arrest (189 [0.1%]), dizziness (165 [0.1%]), acute psychosis (130 [0.1%]), symptoms from the urinary tract (110 [0.1%]), peripheral edema (76 [0.0%]), high blood pressure (69 [0.0%]), and septic (19 [0.0%]).
2Triage is categorized into levels depending on the patient’s presenting complaint(s) and the vital signs.
3Mortality is calculated for the first visit at a hospital because some patients were admitted several times during the inclusion period. IQR, interquartile range; ED, emergency department.
CCI ≥2 (aOR increased 1.5-fold) remained significant strong risk factors for mortality at 8-30 days (Figure 2). The same pattern was seen in mortality at 31-365 days (Appendix 2) but with a decrease in the importance of age and CCI. Dyspneic patients (cOR 4.9) and patients lacking documentation of symptoms (cOR 3.6) had the highest mortality at 0-7 days. Adjusted for other risk factors, patients whose charts were missing documentation of symptoms (aOR 3.5) had the highest mortality at 0-7 days among the different presenting complaints.
In this large cohort study, we found that patients most commonly arrived at the hospital with non-specific symptoms, abdominal pain, and dyspnea and were discharged with an observational- or a symptom-based diagnosis. Age and comorbidity were strong risk factors for mortality at 0-7 and 8-30 days, whereas the primary symptoms only had an association with short-term mortality.
Non-specific complaints were the most common reason for ED visits, with abdominal pain, dyspnea, fever, chest pain, and neurological complaints being the more specific reasons;
an equal distribution has been shown in other countries and in the prehospital setting.4,22,23 Patients with non-specific complaints risk suffering severe conditions.14 These patients are typically time-consuming, and the workflow can be inefficient.24 The ED should consequently have protocols for handling this patient category to optimize daily practice and prevent adverse health outcomes.
Symptom- or observational-discharge diagnosis, as the most common, has also been seen throughout past decades in the prehospital setting, inpatient admissions from the ED, and emergency care visits.25,26 Several reasons could explain this: 1) a specific diagnosis could not be found; 2) other diagnostic procedures were necessary to establish a final diagnosis but were handled in an outpatient clinic afterward; or 3) the symptoms disappeared during admittance before a final diagnosis was established. Not receiving a final diagnosis has both patient- and clinician-oriented implications. The patients could become insecure about their health condition. From the clinician’s point of view, this might lead to overtesting and overtreatment.27,28 The physician, therefore, has a central role through clear communication with the patient to avoid this vicious circle.
Table 2. Distribution of discharge diagnoses according to the major groups of the International Classification of Diseases, 10th Rev., allocated between the most common symptoms for adult, non-trauma, emergency de-partment patients arriving at a hospital in the Region of Southern Denmark between 2016-2018.
Total
Nonspecific symptoms Abdominal pain Dyspnea Fever
Chest pain Neurologic complaints Others1 Missing registration
Total, N (%) 223,612 (100.0) 43,246 (19.3) 36,490 (16.3) 26,328 (11.8) 18,542 (8.3) 17,177 (7.7) 14,762 (6.6) 38,291 (17.1) 28,776 (12.9)
A00-B99 Certain infectious and parasitic diseases
C00-D89 Neoplasm and diseases of the blood and the immune system
E00-90 Endocrine, nutritional and metabolic diseases
9,598 (4.3) 2,217 (5.1) 705 (1.9) 1,034 (3.9) 3,595 (19.4) 124 (0.7) 169 (1.1) 1,330 (3.5) 424 (1.5)
4,979 (2.2) 1,722 (4.0) 645 (1.8) 454 (1.7) 410 (2.2) 88 (0.5) 280 (1.9) 798 (2.1) 582 (2.0)
7,413 (3.3) 4,629 (10.7) 268 (0.7) 375 (1.4) 471 (2.5) 120 (0.7) 190 (1.3) 1,061 (2.8) 299 (1.0)
F00-99 Mental and behavioral disorders 5,455 (2.4) 1,523 (3.5) 88 (0.2) 181 (0.7) 149 (0.8) 136 (0.8) 203 (1.4) 2,666 (7.0) 509 (1.8)
G00-99 Diseases of the nervous system 6,504 (2.9) 790 (1.8) 32 (0.1) 83 (0.3) 137 (0.7) 52 (0.3) 3,383 (22.9) 1,477 (3.9) 550 (1.9) I00-99 Diseases of the circulatory system 26,523 (11.9) 5,152 (11.9) 497 (1.4) 3,221 (12.2) 660 (3.6) 3,184 (18.5) 2,864 (19.4) 4,680 (12.2) 6,265 (21.8)
J00-99 Diseases of the respiratory system 26,271 (11.7) 3,055 (7.1) 496 (1.4) 13,774 (52.3) 5,382 (29.0) 686 (4.0) 237 (1.6) 1,444 (3.8) 1,197 (4.2)
K00-93 Diseases of the digestive system 22,392 (10.0) 2,590 (6.0) 12,825 (35.1) 316 (1.2) 757 (4.1) 504 (2.9) 59 (0.4) 4,275 (11.2) 1,066 (3.7)
L00-99 Diseases of the skin 3,040 (1.4) 586 (1.4) 178 (0.5) 38 (0.1) 256 (1.4) 13 (0.1) 8 (0.1) 1,630 (4.3) 331 (1.2)
M00-99 Diseases of the muscoloskeletal system and connective tissue
N00-99 Diseases of the genitourinary system
O00-99 Pregnancy, childbirth and puerperium
R00-99 Symptoms, signs and clinical and laboratory findings, not elsewhere classified
Z00-99 Admittance for observation or examination
5,755 (2.6) 2,020 (4.7) 258 (0.7) 196 (0.7) 517 (2.8) 334 (1.9) 183 (1.2) 1,314 (3.4) 933 (3.2)
11,417 (5.1) 2,477 (5.7) 2,720 (7.5) 499 (1.9) 2,753 (14.8) 128 (0.7) 212 (1.4) 1,849 (4.8) 779 (2.7)
2,811 (1.3) 382 (0.9) 340 (0.9) 10 (0.0) 79 (0.4) 6 (0.0) 0 (0.0) 1,123 (2.9) 871 (3.0)
53,740 (24.0) 9,336 (21.6) 12,859 (35.2) 4,300 (16.3) 2,012 (10.9) 6,454 (37.6) 4,391 (29.7) 9,422 (24.6) 4,966 (17.3)
37,714 (16.9) 6,767 (15.6) 4,579 (12.5) 1,847 (7.0) 1,364 (7.4) 5,348 (31.1) 2,583 (17.5) 5,222 (13.6) 10,004 (34.8)
1Other symptoms have an individual percentage < 3% and consists of the following symptoms: palpitations (5,107 [2.2%]), fainting (4,802 [2.1%]), gastrointestinal bleeding (4,407 [2.0%]), surgical abscess (3,016 [1.32%]), unconsciousness (2,964 [1.3%]), genital tract bleeding (2,915 [1.3%]), poisoning (2,554 [1.1%]), convulsions (2,525 [1.1%]), diarrhea or/and vomiting (2,027 [0.9%]), back pain (1,650 [0.7%]), headache (1,643 [0.7%]), allergy/anaphylaxis (964 [0.4%]), fall (887 [0.4%]), pain in the scrotum (884 [0.4%]), withdrawal (719 [0.3%]), dysphagia (377 [0.2%]), delirium (374 [0.2%]), cardiac arrest (189 [0.1%]), dizziness (165 [0.1%]), acute psychosis (130 [0.1%]), symptoms from the urinary tract (110 [0.1%]), peripheral edema (76 [0.0%]), high blood pressure (69 [0.0%]), and septic (19 [0.0%]).
ED, emergency department
Figure 2. Odds ratios and adjusted odds ratios for the association between risk factors and mortality at 0-7 (A) and 8-30 days (B) among adult, non-trauma, emergency department patients arriving at a hospital in the Region of Southern Denmark between 20162018.
CCI, Charlson Comorbidity Index.
Overall, older age and degree of comorbidity were associated with the highest mortality, also after adjusting for other risk factors. Most triage systems and early warning scores do not include age and comorbidities.29,30 Failure to recognize these risk factors could lead to undertriage and underscoring and, thus, potentially severe adverse events. In line with our results, the National Early Warning Score (NEWS) has been found in a recent international study to improve the prediction of in-hospital mortality when combined with age.31 On the contrary, the type of symptom and the time and day of arrival only have an impact in the short run. Therefore, the presenting symptoms might, combined with age and comorbidity, provide valuable
prognostic information during the patient’s initial evaluation and in prioritizing among patients.
Patients with missing registration of symptoms had the highest aOR for mortality at 0-7-days across the different primary symptoms. An explanation for the missing record of symptoms could be work pressure, the circumstances surrounding the patient, the logistics in general in the ward at the given time, or an unstable patient unable to express their chief complaint. The high aOR for mortality of these patients could suggest some degree of urgency and underlying deterioration. One study of ED patients who were missing values for vital signs found an association with short-term mortality, indicating that values were not missing
at random.18 Patients with dyspnea had the highest OR for mortality at 0-7 days among patients with specific symptoms. However, the association was less pronounced in the adjusted analysis, implying that other risk factors contributed to the mortality.32,33
The first limitation to consider is that patients with missing CRN were excluded, which could have introduced selection bias. However, these patients constituted only <2% of the total sample. Second, when missing values appeared regarding symptoms we handled them as an independent variable in the multivariable analysis to show that missing data were not missing at random but associated with high short-term mortality, thereby providing valuable information. Third, the type of symptom documented at the patient’s arrival depended on the healthcare worker on shift at the given time. However, the categorization of symptoms was based on a limited number of options to provide consistency in the registration. Fourth, comorbidity was based on CCI extracted at the hospital level and potentially could have been missing diagnoses treated by the general practitioner.
Recognizing age and comorbidity is essential in the primary evaluation of ED patients and subsequent monitoring. Future research in triage systems and early warning scores should incorporate these factors to improve clinical outcomes and guide clinicians in their daily work.
Niels Ibsgaard Agerbek, data manager, the Research Unit of Emergency Medicine, Odense, Denmark, guided us in establishing the study sample.
OPEN (Open Patient Data Explorative Network), where the data is registered and secured.
MDA was supported by the Department of Emergency Medicine at Slagelse Hospital and grants from the Naestved, Slagelse, and Ringsted Hospitals’ Research Fund (grant number 111.2219), the Research Fund of Region Zealand and Region of Southern Denmark, and by a one-year scholarship from the University of Southern Denmark. In addition, the Danish Ministry of Health granted support to collect data (grant no.1608963). The funders had no role in the study’s design, the collection, analysis, or interpretation of data, nor in the writing of the manuscript or the decision to publish results.
¶Clinical Institute, University of Southern Denmark, Research Unit for Infectious Diseases, Odense, Denmark
**University of Southern Denmark, Odense University, Hospital, Open Patient data Explorative Network (OPEN), Odense, Denmark
††Odense University Hospital, Department of Clinical Microbiology, Odense, Denmark ‡‡University of Southern Denmark, Research Unit of Clinical Microbiology, Odense, Denmark
§§Odense University Hospital, Department of Emergency Medicine, Odense, Denmark
Address for Correspondence: Michael Dan Arvig, MD, Slagelse Hospital, Department of Emergency Medicine, Ingemannsvej 50, 4200 Slagelse, Denmark. Email: mdar@regionsjaelland.dk.
Conflicts of Interest: By the WestJEM article submission agreement, all authors are required to disclose all affiliations, funding sources and financial or management relationships that could be perceived as potential sources of bias. No author has professional or financial relationships with any companies that are relevant to this study. There are no conflicts of interest or sources of funding to declare.
Copyright: © 2022 Arvig et al. This is an open access article distributed in accordance with the terms of the Creative Commons Attribution (CC BY 4.0) License. See: http://creativecommons.org/ licenses/by/4.0/
1. Malmström T, Huuskonen O, Torkki P, et al. Structured classification for ED presenting complaints – from free text field-based approach to ICPC-2 ED application. Scand J Trauma Resusc Emerg Med 2012;20:76.
2. Levine DM, Mehrotra A. Assessment of diagnosis and triage in validated case vignettes among nonphysicians before and after internet search. JAMA Netw Open. 2021;4(3):e213287.
3. Safwenberg U, Terént A, Lind L. Differences in long-term mortality for different emergency department presenting complaints. Acad Emerg Med. 2008;15(1):9–16.
4. Mockel M, Searle J, Muller R, et al. Chief complaints in medical emergencies: Do they relate to underlying disease and outcome? The Charité Emergency Medicine Study (CHARITEM). Eur J Emerg Med. 2013;20(2):103–8.
5. Bingisser R, Dietrich M, Nieves Ortega R, et al. Systematically assessed symptoms as outcome predictors in emergency patients Eur J Intern Med. 2017;45:8–12.
6. Wachelder JJH, Stassen PM, Hubens LPAM, et al. Elderly emergency patients presenting with non-specific complaints: Characteristics and outcomes. PLOS ONE. 2017;12(11):e0188954.
7. Ray P, Birolleau S, Lefort Y, et al. Acute respiratory failure in the elderly: etiology, emergency diagnosis and prognosis. Crit Care 2006;10(3):R82.
8. Mikkelsen S, Lossius HM, Toft P, et al. Characteristics and prognoses of patients treated by an anaesthesiologist-manned prehospital emergency care unit. A retrospective cohort study. BMJ Open 2017;7(2):e014383.
9. Christensen EF, Larsen TM, Jensen FB, et al. Diagnosis and mortality in prehospital emergency patients transported to hospital: a population-based and registry-based cohort study. BMJ Open 2016;6(7):e011558.
10. StatBank Denmark. FOLK1A: Folketal den 1. i kvartalet efter område, køn, alder og civilstand. Available at: https://www.statistikbanken.dk/ FOLK1A. Accessed April 6, 2021.
11. Vandenbroucke JP, von Elm E, Altman DG, et al. Strengthening the Reporting of Observational Studies in Epidemiology (STROBE): Explanation and Elaboration. Epidemiology. 2007;18(6):805–35.
12. DEPT generisk. Available at: http://www.deptriage.dk. Accessed December 22, 2021.
13. Skriver C, Lauritzen MM, Forberg JL, et al. Triage medfører hurtigere behandling af de mest syge [Triage quickens the treatment of the sickest patients]. Ugeskr Laeger;173(40):2490-3.
14. Nemec M, Koller MT, Nickel CH, et al. Patients presenting to the emergency department with non-specific complaints: the Basel Non-specific Complaints (BANC) Study. Acad Emerg Med 2010;17(3):284–92.
15. Schmidt M, Pedersen L, Sørensen HT. The Danish Civil Registration System as a tool in epidemiology. Eur J Epidemiol 2014;29(8):541–9.
16. Lynge E, Sandegaard JL, Rebolj M. The Danish National Patient Register. Scand J Public Health. 2011;39(7_suppl):30–3.
17. Charlson ME, Pompei P, Ales KL, et al. A new method of classifying prognostic comorbidity in longitudinal studies: development and validation. J Chronic Dis. 1987;40(5):373–83.
18. Bech CN, Brabrand M, Mikkelsen S, et al. Risk factors associated with short term mortality changes over time, after arrival to the emergency department. Scand J Trauma Resusc Emerg Med 2018;26(1):29.
19. Regulation (EU). European Parliament and of the Council, 2016/679 on the protection of natural persons with regard to the processing of personal data and on the free movement of such data, and repealing Directive 95/46/EC (General data protection regulation), 2016. Available at: https://eur-lex.europa.eu/eli/reg/2016/679/oj. Accessed December 22, 2021.
20. Danish Ministry of Justice. Act on supplementary provisions to the regulation on the protection of natural persons with regard to the processing of personal data and on the free movement of such data (the data protection act). Act No. 502, 2018. Available at: https:// www.dataguidance.com/legal-research/act-no-502-23-may-2018supplementary. Accessed December 22, 2021.
21. Act on Research Ethics Review of Health Research Projects. Act
No. 593, 2011. 2011. Available at: https://leap.unep.org/countries/ dk/national-legislation/act-no-593-relative-ethical-medical-research. Accessed December 22, 2021.
22. Conway R, Byrne D, O’Riordan D, et al. Non–specific clinical presentations are not prognostic and do not anticipate hospital length of stay or resource utilization. Eur J Intern Med. 2021;87:75–82.
23. Ibsen S, Lindskou TA, Nickel CH, et al. Which symptoms pose the highest risk in patients calling for an ambulance? A population-based cohort study from Denmark. Scand J Trauma Resusc Emerg Med 202;29(1):1–10.
24. Rutschmann OT, Chevalley T, Zumwald C, et al. Pitfalls in the emergency department triage of frail elderly patients without specific complaints. Swiss Med Wkly. 2005;135(9–10):145.
25. Fløjstrup M, Bogh SB, Henriksen DP, et al. Increasing emergency hospital activity in Denmark, 2005–2016: a nationwide descriptive study. BMJ Open. 2020;10(2):e031409.
26. Christensen EF, Bendtsen MD, Larsen TM, et al. Trends in diagnostic patterns and mortality in emergency ambulance service patients in 2007−2014: a population-based cohort study from the North Denmark Region. BMJ Open. 2017;7(8):e014508.
27. Brodersen J, Schwartz LM, Heneghan C, et al. Overdiagnosis: What it is and what it isn’t. BMJ Evid-Based Med. 2018;23(1):1–3.
28. Carpenter CR, Raja AS, Brown MD. Overtesting and the downstream consequences of overtreatment: implications of “preventing overdiagnosis” for emergency medicine. Acad Emerg Med 2015;22(12):1484–92.
29. Zachariasse JM, van der Hagen V, Seiger N, et al. Performance of triage systems in emergency care: a systematic review and metaanalysis. BMJ Open. 2019;9(5):e026471.
30. Gerry S, Bonnici T, Birks J, et al. Early warning scores for detecting deterioration in adult hospital patients: systematic review and critical appraisal of methodology. BMJ. 2020;m1501.
31. Nissen SK, Candel BGJ, Nickel CH, et al. The impact of age on predictive performance of National Early Warning Score at arrival to emergency departments: development and external validation. Ann Emerg Med. 2022;79(4):354-63.
32. Kauppi W, Herlitz J, Magnusson C, et al. Characteristics and outcomes of patients with dyspnoea as the main symptom, assessed by prehospital emergency nurses: a retrospective observational study. BMC Emerg Med. 2020;20(1):67.
33. Kauppi W, Herlitz J, Karlsson T, et al. Pre-hospital predictors of an adverse outcome among patients with dyspnoea as the main symptom assessed by pre-hospital emergency nurses: a retrospective observational study. BMC Emerg Med. 2020;20(1):89.
Anna E. Wentz, MPH, PhD*
Ralph C. Wang, MD, MAS†
Brandon D.L. Marshall, PhD*
Theresa I. Shireman, PhD‡
Tao Liu, PhD§
Roland C. Merchant, MD, MPH, ScD¶
* † ‡ § ¶
Brown University School of Public Health, Department of Epidemiology, Providence, Rhode Island
University of California, San Francisco, Department of Emergency Medicine, San Francisco, California
Brown University School of Public Health, Health Services Policy & Practice, Providence, Rhode Island
Brown University School of Public Health, Data & Statistics Core of Brown Alcohol Research Center on HIV (ARCH), Providence, Rhode Island
Harvard Medical School, Brigham and Women’s Hospital Department of Emergency Medicine, Boston, Massachusetts
Section Editor: Nicholas Pettit, DO, PhD
Submission history: Submitted March 7, 2022; Revision received May 10, 2022; Accepted August 13, 2022
Electronically published October 23, 2022
Full text available through open access at http://escholarship.org/uc/uciem_westjem
DOI: 10.5811/westjem.2022.8.56679.
Introduction: Urolithiasis causes severe acute pain and is commonly treated with opioid analgesics in the emergency department (ED). We examined opioid analgesic use after episodes of acute pain.
Methods: Using data from a longitudinal trial of ED patients with urolithiasis, we constructed multivariable models to estimate the adjusted probability of opioid analgesic use 3, 7, 30, and 90 days after ED discharge. We used multiple imputation to account for missing data and weighting to account for the propensity to be prescribed an opioid analgesic at ED discharge. We used weighted multivariable regression to compare longitudinal opioid analgesic use for those prescribed vs not prescribed an opioid analgesic at discharge, stratified by reported pain at ED discharge.
Results: Among 892 adult ED patients with urolithiasis, 79% were prescribed an opioid analgesic at ED discharge. Regardless of reporting pain at ED discharge, those who were prescribed an opioid analgesic were significantly more likely to report using it one, three, and seven days after the visit in weighted multivariable analysis. Among those who were not prescribed an opioid analgesic, an estimated 21% (not reporting pain at ED discharge) and 30% (reporting pain at discharge) reported opioid analgesic use at day three. Among those prescribed an opioid analgesic, 49% (no pain at discharge) and 52% (with pain at discharge) reported using an opioid analgesic at day three.
Conclusion: Urolithiasis patients who received an opioid analgesic at ED discharge were more likely to continue using an opioid analgesic than those who did not receive a prescription at the initial visit, despite the time-limited nature of urolithiasis. [West J Emerg Med. 2022;23(6)864–871.]
Urolithiasis is an acute painful condition with increasing prevalence globally.1-4 The pain caused by urolithiasis is commonly referred to as renal colic, and usually resolves when the stone passes into the bladder within a few hours or up to a few days.5,6 On average, most stones are fully expelled within
about two weeks, with some variation depending on the size and location of the stone.7 Current standard of care for managing acute urolithiasis pain in the emergency department (ED) is to treat pain with non-steroidal anti-inflammatory drugs (NSAID), unless they are contraindicated for the patient or unless NSAIDs are not providing sufficient pain relief. 8-10 However, in practice,
opioid analgesics are often used to manage pain for patients with urolithiasis.11,12 Older clinical guidance often suggests administering opioids and NSAIDs together in the ED5,13 and to “titrate up the analgesic ladder according to pain.”14 Despite these recommendations for pain relief during the ED visit, guidance on pain management after the ED visit is not well established but can include oral NSAIDs with or without opioid analgesics.15
Overall opioid prescribing in the United States has decreased since 2012 as efforts have been underway to limit access to these medications in response to the opioid epidemic.16 However, decreases in prescribing for severe acute conditions, such as urolithiasis, have been relatively small in comparison to the overall decrease in prescribing.17-19 While opioid overdose deaths had previously begun to decrease, they became higher than ever during the COVID-19 pandemic.20 There is evidence that even a one-time prescription for an opioid analgesic may result in long-term opioid use after a dental procedure,21 pregnancy,22 and ED visits for back pain23 or ankle sprains,24 but this has not been studied for patients with urolithiasis, a condition characterized by severe acute pain. Now may be a critical time to revisit opioid analgesic prescribing when discharging ED patients with renal colic.
Our objective was to determine whether ED patients with urolithiasis, a time-limited, acute pain condition, who were discharged with an opioid analgesic prescription were more likely to report opioid analgesic use after the ED visit than patients who did not receive a prescription at the end of the ED visit. We specifically aimed to compare prescription opioid analgesic use after the ED visit according to two groups of patients: those who were still in pain at the time of ED discharge vs those who were no longer reporting pain. Using existing data from a randomized controlled trial,25 in this investigation we examined the outcome of prescription opioid analgesic use after ED discharge by comparing four cohorts of patients based on whether they received an opioid analgesic prescription and whether they reported any or no pain at the time of ED discharge. We hypothesized that ED patients who received an opioid analgesic prescription at ED discharge would use this medication, regardless of reporting pain, longer than those who were not prescribed them.
We analyzed data collected as part of a parent randomized controlled trial (the STONE [Study of Tomography of Nephrolithiasis Evaluation] trial; R01HS019312) that was initially designed to compare diagnostic techniques for urolithiasis.25 Detailed methods are reported elsewhere.26 From 2011–2013 in the STONE trial, trained research coordinators invited adult patients 18–75 years old with suspected urolithiasis from 15 EDs across the US to participate in the trial. Participants were randomly assigned to one of three diagnostic techniques (point-of-care ultrasound in the ED, ultrasound in radiology, or computed tomography), and contacted for follow-
What do we already know about this issue?
Over the past decade opioid analgesic prescribing has declined in the US overall, but prescribing for urolithiasis, a severe acute pain, has been slow to decrease.
What was the research question? Does an opioid analgesic prescription at ED discharge affect continued use after an ED visit for urolithiasis?
What was the major finding of the study? Urolithiasis patients discharged with a prescription were 1.8 to 3.6 times more likely be using opioids at 3 and 7 days than those discharged without an opioid prescription.
How does this improve population health? Although urolithiasis is acute and expected to resolve quickly, further limiting prescription of opioid analgesics might prevent their prolonged use after urolithiasis.
up via phone at 3, 7, 30, and 90 days after ED discharge. The Brown University Institutional Review Board determined this secondary analysis of deidentified data did not involve human subjects. Funding for this project was provided by the National Institutes of Health [F31DK124898]. None of the funding sources for this project played any role in the conduct of the study, study design, analysis, manuscript preparation, or decision to submit the manuscript for publication.
The parent trial enrolled 2,759 adult ED patients with suspected urolithiasis (acute renal colic based on clinical presentation) for whom treating physicians ordered diagnostic imaging. The parent trial invited ED patients with suspected urolithiasis who were between 18-75 years of age, not pregnant or obese, and had no history of nephrectomy, renal transplant, or dialysis to participate in the study.26 The sample for this secondary analysis included participants with complete information on baseline characteristics and reported pain at the time of discharge from the ED. We excluded participants who were admitted to the hospital and those receiving a psychiatric or cancer diagnosis at the ED visit (Figure 1). This secondary analysis focused on the subpopulation of participants diagnosed with urolithiasis (n = 1,296). For a sensitivity analysis (described below), we used the larger population of patients with suspected urolithiasis (n = 2,413). We performed the sensitivity analysis to explore
whether the findings of longitudinal opioid analgesic use were consistent or there were differences in use between the population diagnosed with urolithiasis as compared to those whose diagnosis was less specific.
For our primary analysis, we defined four cohorts based on two exposure variables at the time of ED discharge: receipt of an opioid analgesic prescription (recorded from medical records); and pain (reported on a 0–10 scale and dichotomized
2,776 patients randomized for STONE trial
17 (0.6%) withdrew before data collection
2,759 enrolled and completed baseline data collection
236 (8.6%) admitted to hospital 18 (0.7%) cancer or psychiatric diagnoses 92 (3.3%) missing baseline characteristics
2,413 participants in base sample
1,117 (46.3%) no stone diagnosis
1,296 (53.7%) stone seen or presumed to be present
404 (31.2%) missing reported pain at ED discharge
to any [≥1] or no [0] reported pain). The four cohorts were as follows: 1) reported no pain at ED discharge and did not receive an opioid analgesic prescription; 2) reported pain at discharge but did not receive an opioid analgesic prescription; 3) reported no pain at discharge but received an opioid analgesic prescription; and 4) reported pain and received an opioid analgesic prescription at discharge.
At each follow-up (3, 7, 30, and 90 days post-ED visit), trained research coordinators asked participants whether they were currently taking an opioid analgesic to treat the pain due to the original condition that brought them to the ED when they enrolled in the trial.26 Our primary goal was to compare post-ED opioid analgesic use at follow-up among the four cohorts of participants described previously.
We described characteristics of the study sample, providing the count and percentage for categorical variables and median and interquartile range IQR) for continuous variables. Because receipt of an opioid analgesic prescription at ED discharge was not randomly assigned, we enacted statistical measures to reduce confounding by factors that might have influenced which patients received opioid analgesic prescriptions. Using the population of patients with suspected urolithiasis (n = 2,413), we used inverse propensity score weighting27 to adjust for the probability of receiving an opioid analgesic prescription. The intended result of the adjustment was to simulate random assignment to receipt of an opioid analgesic prescription by attempting to account for factors that might have contributed to patients receiving vs not receiving the prescription.
For this adjustment we estimated the conditional probability of receiving an opioid prescription at ED discharge, given covariates previously identified to predict that probability in this population: urolithiasis diagnosis; gender; age; education level; race/ethnicity; self-rated health; health insurance status; pain level at ED arrival; duration of pain prior to arrival; calendar time; and presence of a prescription drug monitoring program (PDMP) in the state at the time of the visit.11 These estimates produced a propensity score for each participant. Per recommended practice,28 we used the propensity score to weight the data according to the inverse of the probability of receiving an opioid analgesic prescription at ED discharge.
892 (68.8%) in analytic sample
Figure 1. Enrollment and retention in the analytic sample from the STONE trial.
STONE, Study of Tomography of Nephrolithiasis Evaluation; ED, emergency department.
Next, we imputed values to substitute for missing data on opioid analgesic use at follow-ups with chained equations29 using patient and visit characteristics shown in published research to be associated with persistent opioid analgesic use. We used predictors of opioid use after an ED visit (opioid analgesic administration during the visit, gender, age, urolithiasis diagnosis, education, race/ethnicity, self-rated health, pain at ED arrival, duration of pain prior to ED arrival, calendar time, and presence of an online PDMP in the state at the time of the visit) to predict the missing values for reported
opioid use at day 3.30 Our imputation model then used the same predictors with the addition of opioid use at day 3 to predict missing values for opioid use at day 7. The chained equations repeated this pattern for day 30 and then day 90. We created 25 imputed datasets and performed pooled statistical inference.31
In the multiple imputed data sets, we first focused on the subpopulation of urolithiasis-diagnosed participants not missing reported pain at ED discharge (n = 892). In this subpopulation we used generalized estimating equations to account for within-subject correlation due to repeated follow-ups, and we constructed multivariable generalized linear models with a logit link to estimate the odds of using an opioid analgesic at followup for each of the four cohorts. We created a dummy variable to index each follow-up to capture any non-linear pattern of using an opioid analgesic after ED discharge and allowed the responses to change over time for participants who were prescribed vs not prescribed an opioid analgesic at discharge by including an applicable interaction term. The inverse probability weights were then used to adjust for factors that influenced which patients received an opioid analgesic prescription at ED discharge.
This final model produced estimated odds ratios (OR) of using an opioid analgesic at each follow-up visit comparing those with and without an opioid analgesic prescription at ED discharge, stratified by whether or not the participant reported any pain at the end of the ED visit. Additionally, for each of these four cohorts, stratified by opioid analgesic prescription and overall we used the multivariable model to estimate the adjusted percentage with a 95% confidence interval (CI) of participants who reported using an opioid analgesic at each follow-up.
In a sensitivity analysis, we repeated the analysis in the larger subpopulation of participants with suspected urolithiasis and complete data on pain at ED discharge (n = 1,580).
Of the 2,759 participants enrolled in the STONE trial, we excluded 12.5% (n = 346) who were admitted to the hospital, had a cancer or psychiatric diagnosis, or were missing baseline characteristics (Figure 1). Of the remaining 2,413 participants, just over half (1,296) were diagnosed with urolithiasis, and of those, 892 (68.8%) reported whether they were experiencing pain at the end of the ED visit and thus were included in our main analysis (Figure 1). In this analytic sample, there was a very high level of pain reported at ED arrival, with 57.4% (n = 512) of participants rating their initial pain at a 9 or 10 on the 0–10 scale. By the time these patients were discharged from the ED, 68.4% (n = 610) reported experiencing any pain (1–10). The pain scores reported at the end of the ED visit were much lower than at arrival, with a median (IQR) of 9 (8–10) at arrival and 2 (0–4) at discharge. Nearly 80% of this group received a prescription for an opioid analgesic at the time of ED discharge (Table 1). Seventy-five percent (n = 2,692) of follow-up observations had non-missing data for reported opioid analgesic use.
In multivariable analysis using inverse probability
weighting to adjust for the probability of receiving an opioid analgesic prescription at ED discharge, there were significant differences in opioid analgesic use at follow-up between cohorts. Regardless of whether participants had pain at the end of the ED visit, those who were prescribed an opioid analgesic
Table 1. Clinical and demographic characteristics of 892 adults with urolithiasis seen at one of 15 US emergency departments, STONE trial.
Descriptive characteristic n (%)
Gender
Female 343 (38.5)
Male 549 (61.6)
Age (years), median (IQR) 38 (28–48.5)
Years of formal education
High school graduate or less 406 (45.5)
Some post-high school education 232 (26.0) College graduate 254 (28.5)
Race/ethnicity
Black 139 (15.6) Hispanic 228 (25.6) Non-Hispanic White 437 (49.0)
Mixed or other race 88 (9.9)
Has healthcare insurance 651 (73.0)
Pain at ED arrival
Low (0–3) 43 (4.8) Medium (4–8) 337 (37.8) High (9–10) 512 (57.4)
Duration of pain before arrival to ED
1 to 2 hours 233 (26.1)
3 to 6 hours 228 (25.6)
7 to 12 hours 109 (12.2)
13 to 24 hours 72 (8.1) 25 to 48 hours 62 (7.0) > 48 hours 188 (21.1)
Self-rated health
Excellent 162 (18.2) Very good 256 (28.7) Good 316 (35.4)
Fair 132 (14.8) Poor 26 (2.9)
ED visit in state with PDMP online access 466 (52.2)
Opioid analgesic administered during ED visit 661 (74.1)
Opioid analgesic prescription at ED discharge 710 (79.6)
Reported any pain at ED discharge 610 (68.4)
STONE, Study of Tomography of Nephrolithiasis Evaluation; IQR, interquartile range; ED, emergency department; PDMP, prescription drug monitoring program; US, United States.
were more likely to report using one, three and seven days after the visit (Table 2). For example, in the cohorts not reporting pain at ED discharge, those receiving an opioid analgesic prescription had OR = 3.63 (95% CI 1.87–7.07) greater odds of using an opioid analgesic at day 3 than those not receiving a prescription (Table 2, first column).
Figure 2 shows the estimated percentage of participants using an opioid analgesic at each follow-up from the multivariable models. Here we see that the differences in the proportion using an opioid analgesic become smaller by day 7. However, regardless of whether a participant reported pain at the end of the ED visit, those who received an opioid analgesic prescription at ED discharge were more likely than those not receiving a prescription to report using an opioid analgesic three days after
Table 2. Odds ratios of using an opioid analgesic at each postemergency department (ED) visit follow-up by reported pain at the end of the ED visit and receipt of prescription opioid analgesic from the ED. Estimates from multivariable model weighted for propensity to receive an opioid analgesic prescription at ED discharge and using multiple imputations with chained equations to account for missing outcome data at follow-ups. Sample includes 3,568 follow-up observations for 892 adults with urolithiasis seen at one of 15 EDs in the STONE trial.
Outcome No pain at discharge Reported pain at discharge
Exposure group OR (95% CI) OR (95% CI)
Opioid analgesic use at day 3
No opioid prescribed at ED discharge ref ref
Opioid prescribed at discharge 3.63 (1.87–7.07) 2.61 (1.60–4.27)
Opioid analgesic use at day 7
No opioid prescribed at ED discharge ref ref
Opioid prescribed at discharge 2.53 (1.26–5.09) 1.81 (1.03–3.22)
Opioid analgesic use at day 30
No opioid prescribed at ED discharge ref ref
Opioid prescribed at discharge 2.18 (1.00–4.78) 1.57 (0.79–3.12)
Opioid analgesic use at day 90
No opioid prescribed at ED discharge ref ref
Opioid prescribed at discharge 2.01 (0.70–5.80) 1.44 (0.53–3.92)
ED, emergency department; OR, odds ratio; CI, confidence interval; STONE, Study of Tomography of Nephrolithiasis Evaluation.
the visit (Figure 2). For the two cohorts not prescribed an opioid at discharge, an estimated 21% of those with no pain and 30% of those with pain reported using an opioid analgesic at the three day follow-up interview. In contrast, for the cohorts that were prescribed an opioid analgesic, 49% of those not reporting pain at discharge and 52% of those in pain at discharge reported using an opioid analgesic 3 days after the visit (Figure 2).
When the cohorts were combined to compare those receiving vs not receiving an opioid analgesic prescription regardless of pain at ED discharge, 31.6% (27.8–35.6%) of those receiving an opioid analgesic prescription at discharge reported using an opioid seven days after the visit, while only 18.0% (12.0–26.1%) of those without an opioid analgesic prescription at ED discharge reported using one. At day 30 and day 90, the difference between groups was not statistically significant. Overall, in the total population of acute renal colic patients in this study, an estimated 12.5% (9.4–16.4%) reported using an opioid analgesic to treat that pain 30 days later, and 4.3% (2.6–7.1%) were still doing so 90 days after the initial ED visit.
In the sensitivity analysis including the larger population of participants with suspected urolithiasis, the association between receiving an opioid analgesic prescription at ED discharge and using that prescription was slightly stronger for both those reporting pain at the time of ED discharge and no longer experiencing pain, especially at day 3 (Appendix Table 3). Appendix Figure 1 shows the adjusted probability of using an opioid analgesic at each follow-up visit in this larger sample. This sensitivity analysis followed similar relative trends as our main analysis, but the overall probability of using an opioid analgesic was higher at each time point in the larger sample and the CIs more precise.
Thirty days after an ED visit for urolithiasis, 7–17% of patients in our study sample reported using an opioid analgesic to treat the pain that prompted their visit (Figure 2). If prescribed an opioid analgesic, patients were more likely to continue using an opioid analgesic after the visit than those not receiving a prescription. Of greater importance, the association between receiving an initial opioid analgesic prescription and post-ED prescription opioid analgesic usage remained higher among those who did not report pain at ED discharge than those who did. The differences we observed between those receiving an opioid analgesic prescription vs not diminished over time, but we did observe a trend for more usage in the group receiving a prescription.
In our sensitivity analysis including all participants with suspected urolithiasis, we observed similar trends (Appendix Table 3), but more precise estimates and a higher probability of reported opioid analgesic use was higher at all followups in the larger population (Appendix Figure 1). Higher probability of opioid analgesic use in the population of patients with suspected urolithiasis was as expected, due to the time-limited nature of urolithiasis (once a stone passes,
Proportion using opioid analgesic at follow up
0.5
0.4
0.3
0.2
0.1
0
Day 3 no pain, no opioid Day 3 in pain, no opioid Day 3 no pain, opioid Day 3 in pain, opioid
No pain, no opioid Pain, no opioid No pain, opioid Pain, opioid
0.6 no pain, no opioid in pain, no opioid no pain, opioid in pain, opioid no pain, no opioid in pain, no opioid no pain, opioid in pain, opioid no pain, no opioid in pain, no opioid no pain, opioid in pain, opioid no pain, no opioid in pain, no opioid no pain, opioid in pain, opioid Day 3 Day 7 Day 30 Day 90
Figure 2. Adjusted proportion (95% confidence interval (in whiskers) of participants reporting pain at follow-up visits by cohort estimated by multivariable model adjusted for propensity to receive an opioid analgesic prescription, stratified by pain reported and prescription of opioid analgesic at emergency department discharge. Sample includes 3,568 follow-up observations for 892 adults with urolithiasis seen at one of 15 emergency departments in the STONE trial. STONE, Study of Tomography of Nephrolithiasis Evaluation.
the pain subsides). Patients with other diagnoses are likely to continue experiencing pain for longer and, therefore, continue using opioid analgesics as well, especially if prescribed.
Our study is not the first to find ongoing opioid analgesic use after acute pain more likely for patients prescribed an opioid analgesic. In one study of ED patients with a broad array of acute painful complaints, 17% of patients who filled their opioid analgesic prescription continued receiving it one year later.32 A study of motor vehicle collisions found that, six weeks after the collision, participants prescribed opioid analgesics were more likely to report using prescription opioids than those prescribed NSAIDs.33 Another study of ED patients with acute pain who were discharged with an opioid prescription found that those who used the prescription during the first two weeks after discharge were 3.8 times as likely to use opioids three months later than those who did not use opioids during the first two weeks after the visit.34
A recent retrospective study shared a similar concern for patients with acute urolithiasis.12 Of 271 patients at a single hospital with urolithiasis in 2017–2020, 66% received an opioid prescription at the initial visit. In our sample of urolithiasis patients with ED visits occurring from 2011–2013, 78% of patients received an opioid analgesic prescription at discharge. The difference in the proportion of patients receiving an opioid analgesic prescription between this study and that in Cotta et al12 could be due to several factors: variation in prescribing between hospitals (within hospitals in this study 52–95% of visits received an opioid analgesic prescription); our sample
of ED visits (Cotta et al noted that patients with an initial visit to the ED were more likely to receive a prescription than if the initial visit was at an urgent care or another clinic type)12; and finally, a possible decrease in prescribing over time, although this change has been found to be minimal for urolithiasis compared to other contexts.17-19 Consistent with our results, the retrospective study found that those who received an opioid analgesic prescription at their initial visit were more likely to require a refill during the acute stone episode than those who did not receive an opioid prescription at the initial visit.
This analysis is subject to several limitations. As with all longitudinal studies, this investigation had missing data on reported pain at ED discharge and opioid analgesic use at follow-ups. A smaller number of baseline characteristic data was missing; however, excluding this small portion of participants (3.3%) should not meaningfully have changed our results. Unfortunately, nearly one third of the sample was missing reported pain at ED discharge. We believe that pain at the end of the visit was important information needed to answer the research question about whether participants who receive an opioid analgesic prescription at discharge were more likely to continue using an opioid analgesic after the visit, and that 892 participants was sufficient to build our multivariable models. The point when patients were leaving the ED proved to be a difficult time for study staff to obtain information from patients, so missingness at this time point might not be related to the exposure or outcome
in this study. We chose to omit those participants without pain data at ED discharge from this analysis and not attempt to impute reported pain at discharge in addition to our outcome.
One quarter of follow-up observations were missing reported opioid analgesic use, the outcome for this analysis. Omitting this missing information could result in biased estimates, as this data was not missing completely at random. To overcome that limitation, rather than assume the missing data was similar to that observed, we elected to use multiple imputation with chained equations to fill in values for those missing observations,29 and we performed pooled statistical inference to produce a final estimate from the 25 imputed datasets.31
Another potential limitation of this study is that overall opioid analgesic prescribing has changed since the data was collected in 2011–2013. However, opioid analgesic prescribing for acute painful conditions such as urolithiasis has decreased very slowly compared to overall prescribing.17-19 In this patient population, 79.6% (n = 710) of patients with urolithiasis received an opioid analgesic prescription at ED discharge. This is higher than national estimates for 2012–2013, when 56.9% of urolithiasis patients received an opioid analgesic prescription at ED discharge, and for 2016–2017, when the national estimate was 49.2%.17 For the years 2013–2018, other individual EDs reported decreases from 70% to 52%19 and from 81% to 59%.18 Had the present investigation been repeated in 2018, we would expect to see fewer than 79.6% of urolithiasis patients receive an opioid analgesic prescription at ED discharge, likely close to the 59% observed in the Kominsky et al study.18 However, we do not have reason to expect the relationship between opioid analgesic prescribing and use to change over time. Hence, we believe these results remain applicable to current ED practice.
Finally, the parent study did not collect information on exposure to opioid analgesics prior to the ED visit, opioid use disorder, or existing chronic pain or mental health conditions. These factors could have influenced both physician prescribing and opioid analgesic use at follow-up, and thus could have affected our results. Cotta et al were able to control for an existing prescription and still found that patients who received an opioid analgesic prescription at the initial visit for urolithiasis were more likely to refill a prescription than those not receiving a prescription at the initial visit.12 Other studies including only opioid-naïve patients have found continued opioid analgesic use more likely for those prescribed an opioid analgesic at the initial acute pain ED visit than those not prescribed an opioid analgesic for ankle sprains,24 back pain,23 and acute pain in general.32
It is not well established whether having opioid use disorder means a patient is more, perhaps due to requesting the medication, or less, if the physician is aware of the patient history, likely to receive an opioid analgesic prescription. The parent study also did not track how many pills of opioid analgesics were prescribed or refills received, which would both be confounding variables. Related to refills, it is not known whether participants who reported using an opioid
analgesic 90 days after the initial ED visit received a refill, a new prescription, or were using remaining pills from the original prescription.
In this secondary analysis of a longitudinal study of acute urolithiasis ED patients, one eighth of our sample reported using an opioid analgesic 30 days after the visit. We found that those prescribed an opioid analgesic at ED discharge were more likely to report using opioid analgesics a week after the visit than those who did not receive an opioid prescription. Of great importance, opioid analgesic use continued for those who had reported that their pain was relieved at the end of the ED visit. The most current practice guidelines for managing pain due to urolithiasis suggest reserving opioid analgesics as a last resort. Yet opioid analgesics are still often prescribed for urolithiasis, and our study findings show they are prescribed at ED discharge even when a patient’s pain has resolved by the end of the visit. Especially given evidence that NSAIDs are more effective at pain reduction for urolithiasis, further limiting prescription of opioid analgesics at ED discharge might prevent their prolonged use.
AW was supported by the National Institutes of Health [F31- DK124898-01A1]. The STONE trial was funded by the American Recovery and Reinvestment Act of 2009 through the Agency for Healthcare Research and Quality Grant #R01HS019312. RCM was supported by the National Institute on Drug Abuse [K24DA044858]. The funding sources played no role in conduct of the research or preparation of the article.
Address for Correspondence: Roland C. Merchant, MD, MPH, ScD, Ichan School of Medicine at Mount Sinai, One Gustave L. Levy Place, One Gustave L. Levy Place. Email: Roland.Merchant@mountsinai.org.
Conflicts of Interest: By the WestJEM article submission agreement, all authors are required to disclose all affiliations, funding sources and financial or management relationships that could be perceived as potential sources of bias. No author has professional or financial relationships with any companies that are relevant to this study. There are no conflicts of interest or sources of funding to declare.
Copyright: © 2022 Wentz et al. This is an open access article distributed in accordance with the terms of the Creative Commons Attribution (CC BY 4.0) License. See: http://creativecommons.org/ licenses/by/4.0/
1. Romero V, Akpinar H, Assimos DG. Kidney stones: a global picture of prevalence, incidence, and associated risk factors. Rev Urol. 2010;12(2-3):e86-96.
2. Scales CD Jr, Smith AC, Hanley JM, et al; Urologic Diseases in America Project. Prevalence of kidney stones in the United States. Eur Urol. 2012;62(1):160-5.
3. Stamatelou KK, Francis ME, Jones CA, et al. Time trends in reported prevalence of kidney stones in the United States: 1976-1994. Kidney Int. 2003;63(5):1817-23.
4. Raheem OA, Khandwala YS, Sur RL, et al. Burden of urolithiasis: trends in prevalence, treatments, and costs. Eur Urol Focus. 2017;3(1):18-26.
5. Colella J, Kochis E, Galli B, et al. Urolithiasis/nephrolithiasis: What’s it all about? Urol Nurs. 2005;25(6):427-49.
6. Moon YJ, Kim HW, Kim JB, et al. Distribution of ureteral stones and factors affecting their location and expulsion in patients with renal colic. Korean J Urol. 2015;56(10):717-21.
7. Yallappa S, Amer T, Jones P, et al. Natural history of conservatively managed ureteral stones: analysis of 6600 patients. J Endourol. 2018;32(5):371-9.
8. NICE guideline – Renal and ureteric stones: assessment and management. BJU Int. 2019;123(2):220-32.
9. Curhan GC, Aronson MD, Preminger GM. Kidney Stones in Adults: Diagnosis and Acute Management of Suspected Nephrolithiasis. 2021. https://www.uptodate.com/contents/kidney-stones-in-adultsdiagnosis-and-acute-management-of-suspected-nephrolithiasis, Accessed July 20, 2021.
10. Gottlieb M, Long B, Koyfman A. The evaluation and management of urolithiasis in the ED: a review of the literature. Am J Emerg Med. 2018;36(4):699-706.
11. Wentz AE, Wang RC, Marshall BDL, et al. Variation in opioid analgesia administration and discharge prescribing for emergency department patients with suspected urolithiasis. Am J Emerg Med. 2020;38(10):2119-24.
12. Cotta BH, Nguyen V, Sur RL, et al. Opiates prescribed for acute renal colic are associated with prolonged use. World J Urol. 2021;39(6):2183-9.
13. Vargas-Schaffer G. Is the WHO analgesic ladder still valid? Twentyfour years of experience. Can Fam Physician. 2010;56(6):514-7.
14. Bultitude M, Rees J. Management of renal colic. BMJ. 2012;345:35.
15. Wang RC. Managing urolithiasis. Ann Emerg Med. 2016;67(4):44954.
16. Guy GP Jr, Zhang K, Bohm MK, et al. Vital signs: changes in opioid prescribing in the United States, 2006-2015. MMWR Morb Mortal Wkly Rep. 2017;66(26):697-704.
17. Rui P, Santo L, Ashman JJ. Trends in opioids prescribed at discharge from emergency departments among adults: United States, 2006–2017. Natl Health Stat Report. 2020(135):1-11.
18. Kominsky HD, Rose J, Lehman A, et al. Trends in acute pain management for renal colic in the emergency department at a tertiary care academic medical center. J Endourol. 2020;34(11):1195-202.
19. Smith BC, Vigotsky AD, Apkarian AV, et al. Temporal factors
associated with opioid prescriptions for patients with pain conditions in an urban emergency department. JAMA Netw Open. 2020;3(3):e200802.
20. CDC. Overdose deaths accelerating during COVID-19. 2020. Available at: https://www.cdc.gov/media/releases/2020/p1218overdose-deaths-covid-19.html. Acccessed August 15, 2022.
21. Schroeder AR, Dehghan M, Newman TB, et al. Association of opioid prescriptions from dental clinicians for US adolescents and young adults with subsequent opioid use and abuse. JAMA Intern Med. 2019;179(2):145-52.
22. Peahl AF, Morgan DM, Dalton VK, et al. New persistent opioid use after acute opioid prescribing in pregnancy: a nationwide analysis. Am J Obstet Gynecol. 2020;223(4):566.e1-566.e13.
23. Heard K, Ledbetter CM, Hoppe JA. Association of emergency department opioid administration with ongoing opioid use: a retrospective cohort study of patients with back pain. Acad Emerg Med. 2020;27(11):1158-65.
24. Delgado MK, Huang Y, Meisel Z, et al. National variation in opioid prescribing and risk of prolonged use for opioid-naive patients treated in the emergency department for ankle sprains. Ann Emerg Med 2018;72(4):389-400.e1.
25. Smith-Bindman R, Aubin C, Bailitz J, et al. Ultrasonography versus computed tomography for suspected nephrolithiasis. N Engl J Med. 2014;371(12):1100-10.
26. Valencia V, Moghadassi M, Kriesel DR, et al. Study of tomography of nephrolithiasis evaluation (STONE): methodology, approach and rationale. Contemp Clin Trials. 2014;38(1):92-101.
27. Rosenbaum PR. Observational Studies. New York, NY: Springer. 2002
28. Robins JM, Hernan MA, Brumback B. Marginal structural models and causal inference in epidemiology. Epidemiology. 2000;11(5):550-60.
29. Buuren S. The MICE algorithm. In: Flexible Imputation of Missing Data. 2nd ed. Boca Raton, FL: Taylor & Francies Group; 2018:120-1.
30. Prescription Drug Abuse Policy System. PDMP implementation dates. 2017. Available at: http://pdaps.org/datasets/pdmpimplementation-dates. Accessed June 22, 2019.
31. Rubin DB. Multiple Imputation for Nonresponse in Surveys. Hoboken, NJ: John Wiley & Sons.1987.
32. Hoppe JA, Kim H, Heard K. Association of emergency department opioid initiation with recurrent opioid use. Ann Emerg Med 2015;65(5):493-499.e4.
33. Beaudoin FL, Gutman R, Merchant RC, et al. Persistent pain after motor vehicle collision: comparative effectiveness of opioids vs nonsteroidal antiinflammatory drugs prescribed from the emergency department—a propensity matched analysis. Pain. 2017;158(2):28995.
34. Daoust R, Paquet J, Gosselin S, et al. Opioid use and misuse three months after emergency department visit for acute pain. Acad Emerg Med. 2019;26(8):847-55.
Sarah M. Raleigh, MD*
Margot Samson, MD*
Rachel Nygaard, PhD†
Fredrick Endorf, MD†
Joseph Walter, MD‡ Thomas Masters, MD*,‡
* † ‡
Hennepin County Medical Center, Department of Emergency Medicine, Minneapolis, Minnesota
Hennepin County Medical Center, Department of Surgery, Minneapolis, Minnesota Hennepin County Medical Center, Department of Hyperbaric Medicine, Minneapolis, Minnesota
Section Editor: Phillips Perera, MD, RDMS
Submission history: Submitted October 11, 2021; Revision received July 31, 2022; Accepted August 19, 2022
Electronically published October 23 2022
Full text available through open access at http://escholarship.org/uc/uciem_westjem
DOI: 10.5811/westjem.2022.8.55020.
Introduction: Frostbite leads to progressive ischemia eventually causing tissue necrosis if not quickly reversed. Patients with frostbite tend to present to the emergency department (ED) for assessment and treatment. Acute management includes rewarming, pain management, and (when indicated) thrombolytic therapy. Thrombolytic therapy in severe frostbite injury may decrease rates of amputation and improve patient outcomes. Fluorescence microangiography (FMA) has been used to distinguish between perfused and non-perfused tissue. The purpose of this study was to evaluate the potential role of FMA in the acute care of patients with frostbite, specifically its role as a tool to identify perfusion deficit following severe frostbite injury, and to explore its role in time to tissue plasminogen activator (tPA).
Methods: This retrospective analysis included all patients from December 2020–March 2021 who received FMA in a single ED as part of their initial frostbite evaluation. In total, 42 patients presented to the ED with concern for frostbite and were evaluated using FMA.
Results: Mean time from arrival in the ED to FMA was 46.3 minutes. Of the 42 patients, 14 had clinically significant perfusion deficits noted on FMA and received tPA. Mean time to tPA (measured from ED arrival to administration of tPA) for these patients was 117.4 minutes. This is significantly faster than average historical times at our institution of 240-300 minutes.
Conclusion: Bedside FMA provides objective information regarding perfusion deficits and allows for faster decision-making and improved times to tPA. Fluorescence microangiography shows promise for quick and efficient evaluation of perfusion deficits in frostbite-injured patients. This could lead to faster tPA administration and potentially greater rates of tissue salvage after severe frostbite injury.
[West J Emerg Med. 2022;23(6)872–877.]
Frostbite occurs when small ice crystals form in tissue and perfusion is disrupted.1,2 The hands, feet, nose, and ears are the most commonly damaged areas of the body.3,4 If not quickly reversed, prolonged cold exposure leads to progressive ischemia eventually causing tissue necrosis.5 Frostbitten patients tend to present to the emergency department (ED) for assessment
and initial treatment. A large percentage of these patients also suffer from psychiatric illness, substance use disorder, and other psychosocial issues that often complicate treatment.6,7
Acute frostbite management includes active rewarming, pain management, and (when indicated) thrombolytic therapy.8–10 Due to the environmental nature of this disease, much of the frostbite research has stemmed from relatively
few institutions.11 These studies have suggested that thrombolytic therapy in severe frostbite injury may decrease rates of amputation and improve patient outcomes.9,10,12 One study found that each hour in delay of treatment with tissue plasminogen activator (tPA) resulted in a decrease of tissue salvage of 28.1%.13
Acute evaluation for frostbite in the ED is based on history and exam. However, physical exam alone is unreliable.8 Numerous imaging modalities have been used to assist with decision-making, including nuclear medicine bone scans and angiography. The time required to obtain these advanced imaging options can often be prolonged (if available at all) and can be resource and labor intensive.14,15 Furthermore, tPA is thought to be time sensitive, adding urgency to making the diagnosis of severe frostbite.16,26
Recently, the use of fluorescence microangiography (FMA) has been implemented to assess tissue perfusion.17–19 This test consists of injecting indocyanine green dye (ICG) through a peripheral intravenous line. The ICG subsequently binds to blood lipoproteins and travels to where there is blood flow. Using a near-infrared laser coupled with a camera, one can then visualize blood flow within 3-5 millimeters of the skin surface. The dye is hepatically metabolized and safe in patients with renal disease. The ICG also has a very short half-life (150-180 seconds) making it ideal for serial use and allows for repeat imaging.
Fluorescence microangiography has the benefit of being a bedside imaging option, providing the physician with realtime visualization of perfusion deficits. Historically, FMA has been used in flap assessment, peripheral arterial disease, and wound monitoring.20–23 The ability to assess the viability of tissue at the bedside allows for a rapid assessment from the emergency physician and to pursue definitive treatment. In addition, a prior study on patients in the subacute phase following severe frostbite injury showed microangiography to be similar to Tc99 bone scans when compared to final amputation level.24 To our knowledge, this is the first study in which bedside FMA was used in the ED to help determine the need for time-sensitive thrombolytics and assist in prognostication of future need for amputation. Our goal was to evaluate the potential role of FMA in the acute assessment of perfusion deficit of frostbite patients at the bedside. An exploratory outcome assessed the impact of this bedside assessment on reducing time to tPA.
This retrospective study included all patients from December 2020–March 2021 who received FMA with a SPY portable handheld imager (Stryker Corporation; Kalamazoo, MI) as part of their initial frostbite evaluation in a county ED. Per standard protocol, patients identified by prehospital or triage personnel to be at risk for frostbite were prioritized based on the general principle that there could be a threat to limb. Clinicians used FMA based on their clinical
What do we already know about this issue?
Frostbite causes decreased perfusion to tissues. Fluorescence microangiography (FMA) is used to distinguish between perfused and nonperfused tissue.
What was the research question? Can FMA be used in the acute setting to identify perfusion deficits following severe frostbite injury?
What was the major finding of the study?
Of the 42 patients who had FMA, 14 (33%) had clinically significant perfusion deficits and received tPA. Mean time to tPA was 117.4 minutes.
How does this improve population health? Identifying severe frostbite rapidly in the acute setting may allow for faster time to tPA, potentially improving limb salvage in a frequently vulnerable population.
judgment. Patients had FMA if there was a clinical suspicion for significant frostbite, if their extremities were clinically rewarmed, and if they had no iodine allergy. The ICG dye is considered to have a very low incidence of clinically important side effects; however, per manufacturer guidelines, doses were titrated higher or lower for morbid obesity and children, respectively.
Retrospective review of data collected included the following: age; gender; time from arrival to time of microangiography; time to Tc-99 triple-phase bone scans (when performed); time to thrombolytic administration; and amputations required within six months. Due to the challenging psychosocial factors implicated in frostbite care, each patient’s problem list was assessed for underlying comorbidities. Time to tPA for the patients treated for frostbite in the preceding two winter seasons was also analyzed to provide historical controls. Patients with no contraindications to thrombolytics, received tPA based on our institution’s frostbite treatment protocol that consists of a loading dose and a six-hour infusion. Our institution’s approach to frostbite has been discussed in previously published articles.8 This study received Institutional Review Board for Human Subjects Research approval at our institution.
At a single site, 42 patients presented to the ED with concern for frostbite and were evaluated with FMA. Of those 42
patients, the mean age was 44.1 years, and the majority (78.5%) were male. Many patients had a diagnosis of substance use disorder (52.4%), mental health diagnoses (40.5%), or at least one medical comorbidity (40.5%). Of evaluated patients, nine received both bone scan and FMA (Table 1). Mean time from arrival in the ED to FMA was 46.3 minutes.
Table 1. Demographics of enrolled patients, time characteristics of diagnostic testing, and therapies.
Enrolled Patients (N = 42)
Age (years): mean, SD, [range] 44.1, 16, [15-79]
Male, n (%) 33 (78.5)
Mental health diagnosis, n (%) 17 (40.5)
Substance use, n (%) 22 (52.4) Homelessness, n (%) 12 (28.6)
Traumatic brain injury, n (%) 5 (11.9)
Medical comorbidities, n (%) 17 (40.5)
Arrival to fluorescence microangiography time, min (SD) 46.3 (61.4)
Those who received tPA, n (%) 14 (33.3)
Time to tPA, min (SD) 117.4 (95.7) Amputations, n (%) 8 (19)
Those who underwent bone scans, n (%) 9 (21) Time to bone scan, min (SD) 425.8 (765)
N, number; SD, standard deviation; tPA, tissue plasminogen activator.
Of the 42 patients assessed with FMA, 14 had clinically significant perfusion deficits (example in Figure 1). Fourteen patients received tPA. The mean time to tPA (measured from ED arrival to administration of tPA) for these patients was 117.4 minutes. This is compared to the two prior years’ average times of 348 minutes and 270 minutes. Time to FMA and time to tPA is shown in Figure 2. Outliers include patients who had other comorbid conditions or distracting injuries on arrival to the ED that were prioritized over the evaluation of their frostbite, and one patient who received a bone scan prior to FMA.
Of those who received tPA, five followed up in burn clinic and did not require any grafts or amputation afterwards, four had amputations, and five had no consistent follow-up (two died of other causes; two had intermittent follow-up in the ED, and one was lost to follow-up due to living out of state). Eight of the 42 patients eventually required amputations for their frostbite. Four of those had received tPA in our department. Of those who did not receive tPA, two were outside the window for tPA (>12 hours since frostbite injury), one received tPA at an outside hospital before being transferred (time to tPA unavailable), and one had slow perfusion on FMA and did not receive tPA.
Historically, bone scans have been used at our institution to evaluate for perfusion deficits after severe frostbite injury.
1.
Mean time to bone scan was 204 minutes in winter 2018-2019 and 318 minutes in winter 2019-2020. Time to tPA for these same winters was 348 minutes in 2018-2019 and 270 minutes in 2019-2020 (Table 2).
Table 2. Historical values of time taken to treat with tPA. Minutes to bone scan (SD, N) Minutes to tPA (SD, N)
Winter 2018-2019 204 (150, 56) 348 (150, 46)
Winter 2019-2020 318 (600, 21) 270 (162, 12) N, number; SD, standard deviation; tPA, tissue plasminogen activator.
Figure 2. Time to fluorescence microangiography and time to tissue plasminogen activator from arrival in the emergency department. tPA, tissue plasminogen activator; FM, fluorescence microangiography.
Our first aim in this pilot study was to evaluate FMA as a tool to rapidly identify perfusion deficit following frostbite injury. Compared with other modalities, FMA is portable, accessible directly in the ED, and is relatively easy to use. With FMA it was possible to significantly assist in the diagnosis of severe frostbite injury when physical exam alone was not evident. The ability to use bedside FMA to obtain more rapid information regarding perfusion deficits means that the decision to administer thrombolytics in the appropriate patient can be made more quickly. Additionally, this may reduce the need to provide empiric thormbolytics.
At our institution, patients are often treated empirically for severe frostbite injury based on clinical exam by the burn team; this is used most often when there are delays in access to Tc99 scan due to high number of frostbite admissions. Thrombolytics are not a benign drug; prior studies on tPA in strokes have shown risks including symptomatic intracranial hemorrhage, major systemic hemorrhage, and angioedema in 6%, 2%, and 5% of patients, respectively.25 Recent studies on IV and intra-arterial tPA in frostbite have shown complication (rates between 2.3-10 % (compartment syndrome, bleeding requiring transfusion, and hematoma).26,27 Thus, judicious administration of thrombolytics is an important decision that should be made with appropriate clinical information.
One of our exploratory goals in this study was to determine whether FMA could improve time to thrombolytics in patients with severe frostbite in the acute setting. As noted above, faster time to thrombolytics can significantly improve tissue salvage rates.13,28 For
this reason, any intervention that can improve time to thrombolytics could have major implications in limb salvage and outcome for patients with frostbite. In this retrospective study, mean time to FMA for the 42 patients involved was 46.3 minutes. This prompt assessment meant that the decision to give tPA could be made quickly. Time to tPA in this study was just under two hours (117.4 minutes), marking an improvement in our institution’s historical values. Additionally, this is an improvement from prior studies, with reported times of 6-6.9 hours.13,24
We believe that time to FMA (and therefore time to tPA) can be further improved. Fluorescence microangiography was a new device in our ED the year of this study; therefore, there was an inherent learning curve when it was first implemented. As physicians become more comfortable and familiar with the device, time to FMA, and time to tPA will likely improve.
This study does have several limitations. This was a small, single-site study that we conducted during one winter season. A larger sample size would increase the significance of findings. In some instances, confounding factors in medical care increased time to FMA. If a patient presented with frostbite but was unstable or required immediate resuscitation, those needs had to be addressed and the patient stabilized prior to evaluating the frostbite injury. Both experience identifying frostbite injury and familiarity with FMA may influence the utility of FMA. There is an expected “learning curve” for physicians regarding proficiency in appropriate application and
interpretation. Thorough training of all emergency physicians with imaging review and feedback would be critical to ensure uniform evaluation of frostbite.
Additionally, we do not have data on discrepancies of perfusion assessment between the bedside assessment by the emergency physician and formal perfusion assessment by Tc99 bone scans. Therefore, we do not propose that FMA be used as a tool for exclusion from tPA, but rather to rapidly identify those with perfusion deficit for expedited tPA delivery. Clinical decision-making is difficult to assess in a retrospective study, but the general principle at our institution is to expedite tPA therapy to give patients the best chance of limb salvage following frostbite injury. When enacting FMA in the ED initially, the expectation was that patients would also have the standard bone scan prior to thrombolytic therapy. However, there were multiple instances where physicians observed frank digit ischemia on FMA and felt that delaying tPA therapy to obtain a bone scan posed an ethical issue, as prolonged tissue ischemia may cause further tissue loss. All patients undergo our usual frostbite thrombotic-risk screening protocol, as developed by our institution and discussed in previous publications.8,10,13,16,24
Finally, the patient population that traditionally suffers from frostbite includes a large percentage of individuals with mental health and substance abuse disorders. There was a significant loss to follow up at six months. However, this is in line with previous studies of a similar population.28
Fluorescence microangiography shows promise in quickly and efficiently evaluating perfusion deficits in potential frostbite injured patients in the ED. This retrospective data suggests that FMA may lead to faster thrombolytic administration and, therefore, potentially greater rates of tissue salvage after severe frostbite. Future studies should focus on large sample sizes and determining whether decreased time to tPA improves long-term outcomes for severe frostbite injury.
Address for Correspondence: Thomas Masters, MD, Hennepin County Medical Center c/o Emergency Department, 701 Park Avenue South, Minneapolis, MN 55415. Email: thomas.masters@ hcmed.org
Conflicts of Interest: By the WestJEM article submission agreement, all authors are required to disclose all affiliations, funding sources and financial or management relationships that could be perceived as potential sources of bias. No author has professional or financial relationships with any companies that are relevant to this study. There are no conflicts of interest or sources of funding to declare.
Copyright: © 2022 Raleigh et al. This is an open access article distributed in accordance with the terms of the Creative Commons Attribution (CC BY 4.0) License. See: http://creativecommons.org/ licenses/by/4.0/
1. Ahrenholz DH. Frostbite. Probl Gen Surg. 2003;20(1):129-137.
2. McIntosh SE, Opacic M, Freer L, et al. Wilderness Medical Society practice guidelines for the prevention and treatment of frostbite: 2014 Update. Wilderness Environ Med. 2014;25(4):S43-S54.
3. Hallam MJ, Cubison T, Dheansa B, et al. Managing frostbite. BMJ 2010;341:c5864.
4. Folio LR, Arkin K, Butler WP. Frostbite in a mountain climber treated with hyperbaric oxygen: case report. Mil Med. 2007;172(5):560-3.
5. Gonzaga T, Jenabzadeh K, Anderson CP, et al. Use of intraarterial thrombolytic therapy for acute treatment of frostbite in 62 patients with review of thrombolytic therapy in frostbite. J Burn Care Res 2016;37:e323-34.
6. Antti-Poika I, Pohjolainen T, Alaranta H. Severe frostbite of the upper extremities: a psychosocial problem mostly associated with alcohol abuse. Scand J Soc Med. 1990;18(1):59-61.
7. Boswick JA, Thompson JD, Jonas RA. The epidemiology of cold injuries. Surg Gynecol Obstet. 1979;149(3):326-32.
8. Lacey AM, Rogers C, Endorf FW, et al. An institutional protocol for the treatment of severe frostbite injury—a 6-year retrospective analysis. J Burn Care Res. 2021;42(4):817-20.
9. Bruen KJ. Reduction of the incidence of amputation in frostbite injury with thrombolytic therapy. Arch Surg. 2007;142(6):546.
10. Twomey JA, Peltier GL, Zera RT. An open-label study to evaluate the safety and efficacy of tissue plasminogen activator in treatment of severe frostbite. J Trauma. 2005;59(6):1350-4.
11. Hickey S, Whitson A, Jones L, et al. Guidelines for thrombolytic therapy for frostbite. J Burn Care Res. 2020;41(1):176-183.
12. Khan SL, Parikh R, Mooncai T, et al. Barriers to frostbite treatment at an academic medical center. Am J Emerg Med. 2019;37(8):1601. e3-1601.e5.
13. Nygaard RM, Lacey AM, Lemere A, et al. Time matters in severe frostbite: assessment of limb/digit salvage on the individual patient level. J Burn Care Res. 2016:Epub ahead of print.
14. Sánchez Y, Yun B, Prabhakar A, et al. Magnetic resonance imaging utilization in an emergency department observation unit. West J Emerg Med. 2017;18(5):780-4.
15. Ginde AA, Foianini A, Renner DM, et al. Availability and quality of computed tomography and magnetic resonance imaging equipment in u.s. emergency departments. Acad Emerg Med 2008;15(8):780-3.
16. Nygaard RM, Whitley AB, Fey RM, et al. The Hennepin Score: Quantification of Frostbite Management Efficacy. J Burn Care Res 2016;37(4):317-22.
17. Li WW, Carter MJ, Mashiach E, et al. Vascular assessment of wound healing: a clinical review. Int Wound J. 2017;14(3):460-9.
18. Guthrie SD, Guthrie BR. Detecting abnormal angiogenesis in nonhealing wounds with ICG microangiography. 2015. Available at: https://www.hmpgloballearningnetwork.com/site/twc/articles/ detecting-abnormal-angiogenesis-nonhealing-wounds-icgmicroangiography. Accessed July 13, 2021.
19. Samies JH, Gehling M, Serena TE, et al. Use of a fluorescence angiography system in assessment of lower extremity ulcers in patients with peripheral arterial disease: a review and a look forward. Semin Vasc Surg. 2015;28(3-4):190-4.
20. Prantl L, Schmitt S, Gais S, et al. Contrast harmonic ultrasound and indocyanine-green fluorescence video angiography for evaluation of dermal and subdermal microcirculation in free parascapular flaps. Clin Hemorheol Microcirc. 2008;38(2):105-18.
21. Li WW, Arnold J. Imaging of the chronic wound and the emerging role of fluorescence microangiography. Today’s Wound Clin. 2014:1-4.
22. Igari K, Kudo T, Uchiyama H, et al. Intraarterial injection of indocyanine green for evaluation of peripheral blood circulation in patients with peripheral arterial disease. Ann Vasc Surg 2014;28(5):1280-5.
23. Wongkietkachorn A, Surakunprapha P, Winaikosol K, et al. Indocyanine green dye angiography as an adjunct to assess indeterminate burn wounds: a prospective, multicentered, triple-
blinded study. J Trauma Acute Care Surg . 2019;86(5):823-8.
24. Lacey AM, Fey RM, Gayken JR, et al. Microangiography: an alternative tool for assessing severe frostbite injury. J Burn Care Res 2019:566-9.
25. Miller DJ, Simpson JR, Silver B. Safety of thrombolysis in acute ischemic stroke: a review of complications, risk factors, and newer technologies. The Neurohospitalist. 2011;1(3):138-47.
26. Carmichael H, Michel S, Smith TM, et al. Remote delivery of thrombolytics prior to transfer to a regional burn center for tissue salvage in frostbite: a single-center experience of 199 patients. J Burn Care Res. 2022;43(1):54-60.
27. Drinane J, Heiman AJ, Ricci JA, et al. Thrombolytic salvage of the frostbitten upper extremity: a systematic review. Hand 2022;17(3):397-404.
28. Endorf FW, Nygaard RM. Socioeconomic and comorbid factors associated with frostbite injury in the United States. J Burn Care Res 2021:1-6.
Tou-Yuan Tsai, MD*†° Hsin-Tzu Yeh, MD‡° Yu-Chang Liu, MD§° Ching-Hsing Lee, MD|| Kuan-Fu Chen, MD, PhD#¶** Eric H. Chou, MD††‡‡ Jen-Tang Sun, MD, MSc†§§ Kuo-Chih Chen, MD |||| Yi-Kung Lee, MD, MPH*† Su Weng Chau, MD*†
Dalin Tzu Chi Hospital, Buddhist Tzu Chi Medical Foundation, Department of Emergency Medicine, Chiayi, Taiwan
Tzu Chi University, School of Medicine, Hualien, Taiwan
Chang Gung Memorial Hospital, Linkou Branch, Department of Emergency Medicine, Taoyuan, Taiwan
Chi Mei Medical Center, Department of Emergency Medicine, Tainan, Taiwan
Chang Gung University College of Medicine, Chang Gung Memorial Hospital, Department of Emergency Medicine, Keelung, Taiwan
Chang Gung University, Clinical Informatics and Medical Statistics Research Center, Taoyuan, Taiwan
Chang Gung Memorial Hospital, Community Medicine Research Center, Keelung, Taiwan
Chang Gung Memorial Hospital, Department of Emergency Medicine, Keelung, Taiwan
Baylor Scott & White All Saints Medical Center, Department of Emergency Medicine, Fort Worth, Texas
Baylor University Medical Center, Department of Emergency Medicine, Dallas, Texas
Far Eastern Memorial Hospital, Department of Emergency Medicine, New Taipei City, Taiwan
Taipei Medical University, Shuang Ho Hospital, Department of Emergency Medicine, New Taipei City, Taiwan
Co-First Authors. These Authors Contributed Equally to the Work.
Section Editor: Kenneth S. Whitlow, DO
Submission history: Submitted May 29, 2022; Revision received August 26, 2022; Accepted August 27, 2022 Electronically published October 24, 2022 Full text available through open access at http://escholarship.org/uc/uciem_westjem DOI: 10.5811/westjem.2022.8.57552
Introduction: Regional anesthesia (RA) has become a prominent component of multimodal pain management in emergency medicine (EM), and its use has increased rapidly in recent decades. Nevertheless, there is a paucity of data on how RA practice has evolved in the specialty. In this study we sought to investigate how RA has been implemented in EM by analyzing trends of published articles and to describe the characteristics of the published research.
Methods: We retrieved RA-related publications from the SciVerse Scopus database from inception to January 13, 2022, focusing on studies associated with the use of RA in EM. The primary outcome was an analysis of trend based on the number of annual publications. Other outcomes included reports of technique diversity by year, trends in the use of individual techniques, and characteristics of published articles. We used linear regression analysis to analyze trends.
Results: In total, 133 eligible publications were included. We found that overall 23 techniques have been described and results published in the EM literature. Articles related to RA increased from one article in 1982 to 18 in 2021, and the rate of publication has increased more rapidly since 2016. Reports of lower extremity blocks (60.90%) were published most frequently in ranked-first aggregated citations. The use of thoracic nerve blocks, such as the erector spinae plane block, has increased exponentially in the past three years. The United States (41.35%) has published the most RA-related articles. Regional anesthesia administered by emergency physicians (52.63%) comprised the leading field in published articles related to RA. Most publications discussed single-shot (88.72%) and ultrasound-guided methods (55.64%).
Conclusion: This study highlights that the number of published articles related to regional anesthesia in EM has increased. Although RA research has primarily focused on lower extremity blocks, clinical researchers continue to broaden the field of study to encompass a wide spectrum of techniques and indications. [West J Emerg Med. 2022;23(6)878–885.]
The history of regional anesthesia (RA) began with the discovery of the local anesthetic properties of cocaine in 1884.1 The first formal pain management organization, the American Society of Regional Anesthesia and Pain Medicine, was founded in 1923 in honor of Gaston Laba, who is considered the “father” of RA and pain medicine.2 Research on RA was first published in the emergency medicine (EM) literature in the 1980s with articles describing the use of femoral nerve block to treat femoral fractures.3,4 Numerous studies have demonstrated that nerve blocks can lower pain scores more than systemic analgesia.5,6 Using RA can also reduce the incidence of delirium, length of hospital stay, and mortality rate, even when administered in the emergency department (ED) or prehospital setting.7,8 In EM, indications for RA are diverse, including shoulder reduction, acute pain management in traumatic fracture, headache, herpes zoster, acute pancreatitis, and paraphimosis reduction.9–13
Despite indications that RA is becoming a universally adopted technique, there is a paucity of data on how RA practice has evolved in EM. Therefore, our primary aim in this study was to investigate the published research trends associated with RA in EM from inception to 2021. Our secondary aim was to describe the characteristics of the published research studies and their content.
This was a retrospective observational study in which we looked at all the publication and citation data retrieved from the SciVerse Scopus database.14 The study protocol was approved by the Institutional Review Board of Chang Gung Medical Foundation, Taiwan (No. 202200609B1).
Regional anesthesia is defined as a specific anesthetic technique that inhibits nerve transmission to avoid or relieve pain, including spinal anesthesia, epidural anesthesia, and nerve blocks.15 Emergency medicine encompasses initial evaluation and treatment of any patient requiring expeditious medical and surgical care in a hospital-based or freestanding emergency department (ED), urgent care clinic, or prehospital setting such as an emergency medical response vehicle or a disaster site.16 Using the SciVerse Scopus database, we retrieved all publications about RA in EM published up to January 13, 2022. We searched the literature using the following keywords: “regional anesthesia,” “nerve block,” “preoperative,” and “emergency.” We searched for the keywords and linked the search terms with logical Boolean operators in the fields of the title, abstract, and keywords with the type of article.17 We excluded studies related to cesarean section, irreversible pulpitis, arthroplasty, arthroscopy, endarterectomy, or herniorrhaphy because of differences in settings, targets, and procedures.
What do we already know about this issue?
Regional anesthesia (RA) has become a prominent component of pain management in the emergency department because it can be a more effective pain reliever than systemic analgesia.
What was the research question? Our goal was to investigate trends in published research associated with RA in emergency medicine (EM) and to describe its characteristics.
What was the major finding of the study? Among 23 techniques in the EM literature, the most common were studies of lower extremity blocks (61% of papers), reported from the US, and described single injections (89%) with ultrasound guidance (56%).
How does this improve population health? Although RA research has primarily focused on lower extremity blocks, clinical researchers continue to broaden the field of study to encompass a wide spectrum of techniques and indications.
Two reviewers (TYT and HTY) independently screened the titles and abstracts of articles that met the inclusion criteria in the search strategy. Full texts of potentially eligible studies were retrieved and further assessed for eligibility by different reviewers. Inter-reviewer disagreements were resolved by consensus, and a third reviewer (SWC) was consulted, if necessary. Two reviewers independently extracted the following data from the included articles: name of the first author; year of publication; number of citations; country of origin; article categories; publishing journal name; technique described; type of article; site where RA was administered; specialty of the clinician; participants; method of RA guidance; and RA regimens. The country of origin was determined based on the home institution or country of the first author. We further categorized the articles by type, such as case reports, research articles, and reviews, as specified by PubMed. Based on consensus, we categorized the techniques for nerve block into seven fields: upper extremity blocks; lower extremity blocks; thoracic nerve blocks; abdominal nerve blocks; head and neck blocks; cervical plexus blocks; and pudendal and paracervical blocks.18,19
The primary outcomes were the numbers of research articles published annually and the types of RA techniques
described, which we used to evaluate the relationship between the number of papers/techniques and the trend of publication from inception to 2021. We also evaluated papers that we classified according to RA technique categories, which indicate the evolution of the RA research focus in EM. Other measures included the geographic distribution of papers by country, proportion of papers that were published in dedicated EM journals, and distribution of the publication year, type of article, setting, specialty of the RA clinicians, participants, methods of RA guidance, and anesthetic regimens.
Because this study encompasses the entirety of available EM citations, rather than a representative sample, we report only descriptive statistics for the distribution of the numbers of article and citations. To analyze trends in the numbers of studies published, we used linear regression analysis. We used the slope (β) of the linear regression curve to represent the trend, and we calculated the 95% confidence intervals (CI) of β. A P-value <0.05 was considered statistically significant. We conducted all analyses using STATA, version 17.0 (StataCorp, College Station, TX).
The initial SciVerse Scopus database search yielded 1,602 articles. We excluded 1,411 papers after screening the titles and abstracts for irrelevant topics, unavailable data, and duplicate records. Another 58 potentially relevant studies were excluded after a full-text review because the word “emergency” appeared in the abstract but RA was not administered in the ED or prehospital setting. After a careful
review process, 133 published articles met all eligibility criteria (Supplementary Table S1): 72 (54.14%) articles were categorized as research articles; 50 (37.59%) as case reports; and 11 (8.27%) as reviews. Overall, the total, average, and median numbers of citations were 2,197, 19.44, and 10, respectively.
The number of RA-related articles in EM increased from one in 1982 to 18 in 2021. The number of articles has been increasing steadily since 1990 and has grown more rapidly since 2016 (Figure 1), with an increasing rate of papers published of 2.17 per year (P-value = 0.005, 95% CI 1.08–3.26). The trend in the publication of RA technique types was similar, with an increasing rate of 2.37 per year since 2016 (P-value = 0.01, 95% CI 0.85–3.90).
The 133 retrieved papers originated from 21 countries, and most studies were from the United States (55/133, 41.35%) (Table 1). Articles were published in 61 journals, with the majority published in the American Journal of Emergency Medicine (31/133, 23.31%), followed by the Journal of Emergency Medicine (16/133, 12.03%) (Supplementary Table S2). Overall, 118 (88.72%) articles reported that RA was performed in an ED and 13 (9.77%) in the prehospital setting (Table 2). Two included articles surveyed the efficacy of preoperative nerve blocks in acute traumatic hip fracture treatment with outcomes associated with the ED. However, these two studies did not mention the locations where the nerve blocks were performed. We categorized the two studies as “unavailable data” on setting.20,21 Regional anesthesia was primarily administered by emergency physicians (52.63%) in adult patients (77.44%), and with an ultrasound-guided method (55.64%).
Table 1. Country distribution in regional anesthesia-related publications by the number of publications.
Country Number of publications % Overall times cited
United States 55 41.35 1,072
France 12 9.02 173
United Kingdom 11 8.27 318 Turkey 11 8.27 88 Australia 7 5.26 71 India 6 4.51 41 Iran 6 4.51 19 Netherlands 4 3.01 75 Japan 3 2.26 38 Canada 3 2.26 25 Switzerland 3 2.26 7 Italy 2 1.50 32 Germany 2 1.50 19 Denmark 1 0.75 185 Belgium 1 0.75 17 Hong Kong 1 0.75 11 Tunisia 1 0.75 3 China 1 0.75 1 South Africa 1 0.75 1 Spain 1 0.75 1 Sweden 1 0.75 0
Most publications reported use of a single-shot technique (88.72%). Bupivacaine (36.84%) and lidocaine (29.32%) were the local anesthetics most commonly used for injections (Supplementary Table S3).
In total, 23 RA techniques in the seven nerve block categories were described in the retrieved articles (Table 3). The technique most frequently reported in the published EM literature was a femoral nerve block (34/133, 25.56%), which was also the first RA technique reported in EM in 1982. Fascia iliaca compartment block (32/133, 24.06%) ranked second. Of note, the erector spinae plane block (13/133, 9.77%) was the third most published RA technique. The cumulative number of articles annually, sorted according to the seven nerve block categories, showed an upward trend (Figure 2). Lower extremity blocks were the leading research field prior to 2005. Interestingly, after 2016 research on upper extremity blocks, thoracic nerve blocks, and head and neck blocks increased exponentially.
Our study provides a statistical viewpoint of the evolution of publication trends in the use of RA in EM. In this study, we analyzed the publishing trends of RA-related articles
Table 2. Characteristics of regional anesthesia-related articles.
Number of publications* %
Setting
ED 118 88.72 Prehospital 13 9.77 NA 2 1.50
Population Adults 103 77.44 Pediatrics 12 9.02 Both 7 5.26 NA 11 8.27
Type Single 118 88.72 Continuous 3 2.26 Both 1 0.75 NA 11 8.27
Guidance method
Ultrasound 74 55.64 Landmark 47 35.34 Nerve stimulator 11 8.27 NA 12 9.02
Clinician or other personnel
Emergency physician 70 52.63 Anesthesiologist 16 12.03 Orthopedist 4 3.01 Paramedic 4 3.01 Radiologist 1 0.75 Neurologist 1 0.75 Pediatrician 1 0.75 ED nurse 1 0.75 Specialist acute pain nurse 1 0.75 NA 44 33.08
*Some articles mentioned more than one characteristic. ED, emergency department; NA, not available.
using the number of overall papers, technique type, and numbers of citations. The trend in the number of articles and technique types has been increasing since the 1980s and has exponentially increased in the past five years. Most RA-related papers were published in the US. Emergency physician-administered, ultrasound-guided method, singleshot, lower extremity blocks comprised the leading fields in RA-related research. To the best of our knowledge, this is the first study to evaluate the trends in RA-related EM research and analyze their characteristics.
In recent years, the opioid epidemic has emerged as one of the most critical challenges in EM.22 As one part of a
Figure 2. Timeline of published research on regional anesthesia since first being described in 1982. The graph shows an increasing trend in the use of lower extremity blocks, upper extremity blocks, thoracic nerve blocks, and head and neck blocks by emergency physicians.
Table 3. Distribution of individual nerve block techniques reported in regional anesthesia-related articles.
Technique
Lower extremity block
Number of articles* % Overall times cited
Femoral nerve block 34 25.56 580
Fascia iliaca compartment block 32 24.06 837
Sciatic nerve block (transgluteal and popliteal) 11 8.27 67
Superior cluneal nerve block 1 0.75 7
Genicular nerve block 1 0.75 0
Posterior tibial nerve block 2 1.50 7
Total 81 60.90 1,498
Upper extremity block
Interscalene block 8 6.02 158
Supraclavicular block 6 4.51 99
Infraclavicular block 4 3.01 14
Axillary block 9 6.77 93
Wrist block (radial, ulnar, or median nerve) 13 9.77 168
Suprascapular nerve block 3 2.26 39
Total 43 32.33 571
Thoracic nerve block
Erector spinae plane block 13 9.77 115
Serratus anterior plane block 6 4.51 53
Intercostal nerve block 1 0.75 20
Interpleural block 1 0.75 23
Total 21 15.79 211
Abdominal nerve block
Transversus abdominis plane block 1 0.75 1
Total 1 0.75 1
*Some articles mentioned more than one technique.
Table 3 Continued. Distribution of individual nerve block techniques reported in regional anesthesia-related articles.
Technique
Number of articles* % Overall times cited Head and neck block
Greater occipital nerve block 7 5.26 75
Superficial cervical plexus block 2 1.50 45 Others (orbital, mental, and auricular nerves) 6 4.51 18
Total 15 11.27 138
Pudendal and paracervical block
Dorsal penile nerve block 3 2.26 13
Total 3 2.26 13
Stellate ganglion block 2 1.50 3
Spinal accessory nerve block 1 0.75 0
*Some articles mentioned more than one technique.
multimodal analgesic regimen, RA provides a site-specific afferent neural block, achieving timely pain control with fewer complications compared with the administration of opioids. Regional anesthesia is based on the hypothesis that local injection of anesthetic drugs inhibits the propagation of impulses in nerve terminals to inhibit the perception of pain by the cerebral cortex. Evidence has demonstrated that RA could be useful as a tool to decrease the use of opioids for pain in the ED.23 Table 3 and Figure 2 show the diverse RA techniques used in EM and the 18 different techniques that were described in published research in 2021.
Regional anesthesia is currently the easiest, fastest, safest, and overall most effective and economical painblocking technique, making it the preferred method for emergency cases and patients with many comorbidities or with contraindications to the use of nonsteroidal inflammatory drugs or opioids. It has been used in EM since Berry pioneered its use as a femoral nerve block in femoral fractures in 1977.4,24 Because a fascia iliaca compartment block provides a more consistent simultaneous blockade of the lateral femoral cutaneous nerves and does not require a nerve stimulator, it has also been widely used for femoral fractures since 2003.25 The femoral nerve block and fascia iliaca compartment block were reported in the top three cited papers and most frequently in the top 10 cited papers (Supplementary Table S1).25–27 Articles about those blocks also steadily increased yearly (Figure 2).
A novel regional technique, the pericapsular nerve group block, has been shown to provide better pain reduction for hip fracture than femoral nerve block.28 However, only one case series in EM has been published to date.29 Regional anesthesia could also have potential application in shoulder reduction. In fact, one study reported that, unlike procedural sedation, RA shortened the length of ED stay, provided sufficient pain control, and contributed to patient satisfaction in shoulder reduction.30 Because of these strengths, articles associated
with different RA techniques for shoulder reduction increased in the last decade. Interestingly, articles about the erector spinae plane block were cited often in recent years. A study by Luftig et al demonstrated that the erector spinae plane block is effective for pain control in patients with posterior rib fractures. Their article was published in 2018 and has been cited 50 times to date.31 In addition, the erector spinae plane block was reported applicable for pain control in herpes zoster, and a study by Tekin et al has been cited 18 times since its publication in 2019.11
While nerve stimulators were used in the past for guidance, more recent evidence has demonstrated that RA performed based on landmarks can be effective and more feasible in a typically busy ED.26 A review article revealed that 46% of emergency physicians in the United Kingdom use the landmark-guided femoral nerve block for femoral fractures.32 Currently, evidence shows that ultrasound-guided RA provides an increased success rate, shorter procedure time, and fewer complications compared with peripheral nerve stimulation and landmark-guided RA.33,34 Ultrasound-guided RA is becoming a universally adopted tool.35 This trend is comparable with our results. Our study demonstrated that more than half of RArelated articles reported the use of ultrasound-guided methods (55.64%), primarily after 2007 (Table 2).
In our study, nearly 90% of publications reported use of the single-shot block in EM. Compared with the singleshot block, a continuous nerve blockade takes more time and requires more resources in terms of staff, equipment, and capacity. It is not feasible in crowded and busy EDs.33 Lidocaine and bupivacaine are the two drugs used in the ED for RA.3,4,24 Both drugs were reported in about one third of publications (Supplementary Table S3). The desired characteristics depend on the patient’s circumstances. A long-acting drug, such as bupivacaine, is desirable for prolonged postoperative analgesia, but it would be particularly problematic in orthopedic assessment after surgery. A short-
acting drug, such as lidocaine, is effective for pain control during a radiology examination and transport to the ED, but a bolus is needed after its effects fade.
In the past, many physicians (except anesthesiologists) regarded RA as too complex and intimidating.36 One potential barrier is the belief that RA is a technique performed only by anesthesiologists. Another barrier may be the longer time to perform RA than conventional pain management.37 However, the implementation of educational and awareness strategies of RA among clinical staff in the ED resulted in a significant increase in the administration of nerve blocks.38 Not only emergency physicians, but junior doctors, emergency medical services nurses, and paramedics can improve their competence in basic nerve block procedures with training curricula.25,39–41 Evidence indicates that such staff could safely administer RA with a high success rate and no complications.
A qualitative study surveyed patients about their experience with receiving landmark-based fascia iliaca compartment block performed by paramedics at the scene where the patients suffered their injury.42 Interestingly, patients recalled the high quality of care given by paramedics, experienced relief when a fascia iliaca compartment block was given, and had little or no memory of being offered, consenting to, or receiving the block a few weeks after the block was performed. In addition, RA could be performed in other settings, such as disaster sites.43 Because of its convenience and effectiveness, we hope that RA can be administrated by more diverse healthcare staff and applied in diverse situations.
The main strength of this observational study is its complete review of current RA-related publications in EM. However, it also has some limitations. First, the impact of studies from 2022 was underestimated, as no studies published in 2022 were included. This was a result of the gap between the paper’s publication and the appearance of citations in other journals. More recently published studies in 2021 have not had time to accumulate citations. The same phenomenon is mentioned in a previous similar study.44 Second, in our study, the published country was sorted according to the affiliation of the first author. Collaborative research between other countries would have been missed because of this methodology. This limitation caused underestimation of collaborative researchers’ contributions.
Third, it is possible that our data could be biased because of the misclassification of the sites where RA was administered and of the specialties of the physicians who performed the procedure. Although our intent was to categorize those variables precisely, the different systems between countries resulted in different definitions of healthcare sites and specialist types. Lastly, there is a potential risk of publication bias. Highly cited topics were based on acceptance of a manuscript with significant results. However,
the impact of some topics may be underestimated because of the rare citation or rejection of a manuscript without positive, significant, or interesting results.
This study highlights that the number of articles documenting the use of regional anesthesia in the ED continues to increase. Compared with other techniques, lower extremity block reports were most frequently published in ranked-first aggregated citations.
Address for Correspondence: Su Weng Chau, Tzu Chi University School of Medicine, Department of Emergency Medicine, Dalin Tzu Chi Hospital, Buddhist Tzu Chi Medical Foundation, Chiayi, Taiwan, No.2, Minsheng Rd., Dalin Township, Chiayi County 622, Taiwan (R.O.C.). Email: suweng82@gmail.com
Conflicts of Interest: By the WestJEM article submission agreement, all authors are required to disclose all affiliations, funding sources and financial or management relationships that could be perceived as potential sources of bias. No author has professional or financial relationships with any companies that are relevant to this study. There are no conflicts of interest or sources of funding to declare.
Copyright: © 2022 Tsai et al. This is an open access article distributed in accordance with the terms of the Creative Commons Attribution (CC BY 4.0) License. See: http://creativecommons.org/ licenses/by/4.0/
1. Brown TC. History of pediatric regional anesthesia. Paediatr Anaesth 2012;22(1):3-9.
2. Angaramo G, Savage J, Arcella D, et al. Comprehensive Curriculum of the History of Regional Anesthesia. 2019.
3. McGlone R, Sadhra K, Hamer DW, et al. Femoral nerve block in the initial management of femoral shaft fractures. Arch Emerg Med. 1987;4(3):163-8.
4. Tondare AS, Nadkarni AV. Femoral nerve block for fractured shaft of femur. Can Anaesth Soc J. 1982,29,270-1.
5. Guay J, Kopp S. Peripheral nerve blocks for hip fractures in adults. Cochrane Database of Systematic Reviews. 2020.
6. Tsai TY, Cheong KM, Su YC, et al. Ultrasound-guided femoral nerve block in geriatric patients with hip fracture in the emergency department. J Clin Med. 2022;11(10):2778.
7. Scurrah A, Shiner CT, Stevens JA, et al. Regional nerve blockade for early analgesic management of elderly patients with hip fracture: a narrative review. Anaesthesia. 2018;73(6):769-83.
8. Richman JM, Liu SS, Courpas G, et al. Does continuous peripheral nerve block provide superior pain control to opioids? A metaanalysis. Anesth Analg. 2006;102(1):248-57.
9. Blaivas M, Adhikari S, Lander L. A prospective comparison of procedural sedation and ultrasound-guided interscalene nerve block for shoulder reduction in the emergency department. Acad Emerg Med
Tsai et al.
2011;18(9):922-7.
10. Korucu O, Dagar S, Çorbacioglu ŞK, et al. The effectiveness of greater occipital nerve blockade in treating acute migraine-related headaches in emergency departments. Acta Neurol Scand. 2018;138(3):212-8.
11. Tekin E, Ahiskalioglu A, Aydin ME, et al. High-thoracic ultrasound-guided erector spinae plane block for acute herpes zoster pain management in emergency department. Am J Emerg Med. 2019;37(2):375.e1-375.e3.
12. Mantuani D, Josh Luftig PA, Herring A, et al. Successful emergency pain control for acute pancreatitis with ultrasound guided erector spinae plane blocks. Am J Emerg Med. 2020;38(6):1298.e5-1298.e7.
13. Flores S, Herring AA. Ultrasound-guided dorsal penile nerve block for ED paraphimosis reduction. Am J Emerg Med. 2015;33(6):863. e3-863.e863005.
14. Scopus Database. Available at: https://www.scopus.com/home.uri. Accessed January 13, 2022.
15. Torpy JM, Lynm C, Golub RM. JAMA patient page. Regional anesthesia. JAMA. 2011;306(7):781.
16. Definition of emergency medicine. Ann Emerg Med. 1981;10(7):385-8.
17. Sayers A. Tips and tricks in performing a systematic review: Chapter 4. Br J Gen Pract. 2008;58(547):136.
18. Jeng CL, Rosenblatt MA. Overview of peripheral nerve blocks. 2022. Available at: https://www.uptodate.com/contents/overview-of-peripheralnerve-blocks. Accessed August 14, 2022.
19. Wathen J, Neubrand T, Do H. Regional anesthesia in the pediatric emergency department. Clinic Pediatr Emerg Med. 2017;18(4):268-85.
20. Newman B, McCarthy L, Thomas PW, et al. A comparison of preoperative nerve stimulator-guided femoral nerve block and fascia iliaca compartment block in patients with a femoral neck fracture. Anaesthesia. 2013;68(9):899-903.
21. Mangram AJ, Oguntodu OF, Hollingworth AK, et al. Geriatric trauma G-60 falls with hip fractures: a pilot study of acute pain management using femoral nerve fascia iliac blocks. J Trauma Acute Care Surg. 2015;79(6):1067-72.
22. Guarisco J, Salup A. Reducing opioid prescribing rates in emergency medicine. Ochsner J. 2018;18(1):42-5.
23. Duncan RW, Smith KL, Maguire M, et al. Alternatives to opioids for pain management in the emergency department decreases opioid usage and maintains patient satisfaction. Am J Emerg Med. 2019;37(1):38-44.
24. Berry FR. Analgesia in patients with fractured shaft of femur. Anaesthesia. 1977;32(6):576-7.
25. Lopez S, Gros T, Bernard N, et al. Fascia iliaca compartment block for femoral bone fractures in prehospital care. Reg Anesth Pain Med 2003;28(3):203-7.
26. Fletcher AK, Rigby AS, Heyes FL. Three-in-one femoral nerve block as analgesia for fractured neck of femur in the emergency department: a randomized, controlled trial. Ann Emerg Med. 2003;41(2):227-33.
27. Foss NB, Kristensen BB, Bundgaard M, et al. Fascia iliaca compartment blockade for acute pain control in hip fracture patients: a randomized, placebo-controlled trial. Anesthesiology. 2007;106(4):773-8.
28. Lin DY, Morrison C, Brown B, et al. Pericapsular nerve group (PENG) block provides improved short-term analgesia compared with the femoral nerve block in hip fracture surgery: a single-center
double-blinded randomized comparative trial. Reg Anesth Pain Med 2021;46(5):398-403.
29. Luftig J, Dreyfuss A, Mantuani D, et al. A new frontier in pelvic fracture pain control in the ED: successful use of the pericapsular nerve group (PENG) block. Am J Emerg Med. 2020;38(12):2761.e5-2761.e9.
30. Blaivas M, Adhikari S, Lander L. A prospective comparison of procedural sedation and ultrasound-guided interscalene nerve block for shoulder reduction in the emergency department. Acad Emerg Med 2011;18(9):922-7.
31. Luftig J, Mantuani D, Herring AA, et al. Successful emergency pain control for posterior rib fractures with ultrasound-guided erector spinae plane block. Am J Emerg Med. 2018;36(8):1391-6.
32. Mittal R, Vermani E. Femoral nerve blocks in fractures of femur: variation in the current UK practice and a review of the literature. Emerg Med J 2014;31(2):143-7.
33. Abrahams MS, Aziz MF, Fu RF, et al. Ultrasound guidance compared with electrical neurostimulation for peripheral nerve block: a systematic review and meta-analysis of randomized controlled trials. Br J Anaesth 2009;102(3):408-17.
34. Munirama S, McLeod G. A systematic review and meta-analysis of ultrasound versus electrical stimulation for peripheral nerve location and blockade. Anaesthesia. 2015;70(9):1084-91.
35. Haskins SC, Fiasconaro M, Wilson L, et al. Ultrasound guidance for peripheral nerve blocks: an observational trend study of national data. Reg Anesth Pain Med. 2020;rapm-2019-101113.
36. Turbitt LR, Mariano ER, El-Boghdadly K. Future directions in regional anaesthesia: not just for the cognoscenti. Anaesthesia. 2020;75(3):293-7.
37. Riddell M, Ospina M, Holroyd-Leduc JM. Use of femoral nerve blocks to manage hip fracture pain among older adults in the emergency department: a systematic review. CJEM. 2016;18(4):245-52.
38. Newton-Brown E, Fitzgerald L, Mitra B. Audit improves emergency department triage, assessment, multi-modal analgesia and nerve block use in the management of pain in older people with neck of femur fracture. Australas Emerg Nurs J. 2014;17(4):176-83.
39. Forouzan A, Masoumi K, Yadegar N, et al. Comparison of femoral nerve block with intravenous morphine sulfate for pain relief of femoral fracture. Asian J Sci Res. 2015;8:429-35.
40. Dochez E, van Geffen GJ, Bruhn J, et al. Prehospital administered fascia iliaca compartment block by emergency medical service nurses, a feasibility study. Scand J Trauma Resusc Emerg Med. 2014;22:38.
41. McRae PJ, Bendall JC, Madigan V, et al. Paramedic-performed fascia iliaca compartment block for femoral fractures: a controlled trial. J Emerg Med. 2015;48(5):581-9.
42. Evans BA, Brown A, Fegan G, et al. Is fascia iliaca compartment block administered by paramedics for suspected hip fracture acceptable to patients? A qualitative study. BMJ Open. 2019;9(12):e033398.
43. Lippert SC, Nagdev A, Stone MB, et al. Pain control in disaster settings: a role for ultrasound-guided nerve blocks. Ann Emerg Med 2013;61(6):690-6.
44. Liao SF, Chen PJ, Chaou CH, et al. Top-cited publications on point-ofcare ultrasound: the evolution of research trends. Am J Emerg Med 2018;36(8):1429-38.
Ryan Gibney, MD*
Christina Cantwell, MD, MS*
Shannon Toohey, MD, MAEd*
Megan Boysen-Osborn, MD, MHPE*
Warren Wiechmann, MD, MBA*
Soheil Saadat, MD, PhD*
Angela Allen, MD†
Alisa Wray, MD, MAEd*
Section Editor: John Burkhardy, MD, MA
* †
University of California, Irvine, Department of Emergency Medicine, Orange, California
University of North Carolina, Department of Emergency Medicine, Chapel Hill, North Carolina
Submission history: Submitted September 13, 2021; Revision received March 13, 2022; Accepted July 28, 2022
Electronically published October 24,2022
Full text available through open access at http://escholarship.org/uc/uciem_westjem
DOI: 10.5811/westjem.2022.7.54678
Introduction: While females make up more than half of medical school matriculants, they only comprise about one third of emergency medicine (EM) residents. We examined EM residency cohorts with entering years of 2014–2017 to estimate the ratio of males to females among residents and program leadership to determine what correlation existed, if any, between program leadership and residency gender distributions.
Methods: We identified 171 accredited EM residency programs in the United States with resident cohorts entering between 2014-2017 with publicly available data that were included in the study. The number of male and female residents and program directors were counted. We then confirmed the counts by contacting the programs directly to confirm accuracy of the data collected from program websites.
Results: Within the included 171 programs, the overall male to female EM resident ratio was 1.78:1. Individual program ratios ranged from 0.85-8.0. Only eight programs (5.6%) had a female-predominant ratio. Among program directors, the overall male to female ratio was 2.17:1. TThe gender of the program director did not have a statistically significant correlation with the male to female ratio among its residents (P = .93).
Conclusion: Within 171 residency programs across the US with entering cohorts between 20142017, the average male to female ratio among residents is nearly 2:1. No significant correlation exists between the gender distribution among a program’s leadership and its residents. [West J Emerg Med. 2022;23(6)886–889.]
While females make up more than half of medical school matriculants, they comprise only about one third of emergency medicine (EM) residents1; this percentage has remained
relatively stagnant over the past 10 years.2 Men comprise a higher percentage of practicing emergency physicians,3 and it has been shown that within EM, male and female residents demonstrate implicit bias favoring male leadership.4 While
several factors influence students’ decisions in applying to residency programs, the influence of gender composition within a given program has not been well studied, with limited literature on the topic. In this study we examined publicly available data to determine the baseline gender makeup of EM residencies as a proxy for the specialty. We then compared the gender distribution of EM residents and program leadership from entering years 2014-2017 to determine whether there was a relationship between the composition of a residency class and its leadership.
We identified 171 Accreditation Council for Graduate Medical Education (ACGME)-accredited EM residency programs in the United States in 2017.5 We chose residency cohorts with entering years 2014-2017 for inclusion. We selected cohort data by entering year rather than graduating year to account for 3- and 4-year programs and to accurately capture the true variance of gender year by year. The institutional review board determined that the study was exempt for public data collection and did not require informed consent.
We used publicly available data from individual program websites to determine resident gender distribution. We manually counted the gender distribution of residents at each program with publicly available pictures of the program’s residents and faculty on their websites. We contacted programs without publicly available data via email to determine their gender distribution. Once the data was collected, we contacted program directors and coordinators via email to verify the accuracy of the manually collected data. We allowed 60 days for response, with follow-up emails to those with no response.
A total of 47 programs verified the data, which were entered into a matrix-style data collection instrument for analysis. By using this approach, we found that most of the data collected from publicly available program websites was accurate; so, we chose to also include both verified and unverified data in our analysis. Public data was determined to be relatively accurate with a 1.65% error on the total number of residents reported, a 2.08% error on the number of male residents reported, and a 3.73% error on the number of female residents reported. We calculated the percent error using datasets from programs that confirmed our manually collected data. The calculation was performed by subtracting the estimated (manually counted) number of total residents or male residents only or female residents only from the actual (confirmed) data for these categories, and then dividing by the actual data. Percent errors were then averaged for each category.
We identified program directors, and associate and assistant program directors using similar methods as above. We confirmed gender distribution among those identified using email, and the gender makeup of program leadership was confirmed with the program coordinator. A total of 47 programs verified their residency leadership data.
What do we already know about this issue? While females make up more than half of medical school matriculants, they comprise only about one third of emergency medicine (EM) residents.
What was the research question? We sought to determine what correlation existed, if any, between program leadership and residency gender distributions.
What was the major finding of the study? The average resident male:female ratio is nearly 2:1. No significant correlation exists between the gender distribution of a program’s leadership and its residents.
How does this improve population health? Understanding gender make-up of programs provides a baseline for future studies, to determine whether existing gender distributions play a role in an applicant’s decision-making process.
We analyzed the data using simple ratios to determine the overall gender distribution within all identified EM programs. The ratios for individual residency cohort years 2014-2017 were compared against one another in addition to comparison against the cumulative ratio for the four-year period. Additionally, we analyzed individual programs to determine the variation from the mean. The data from individual programs was compared to that of the program leadership to determine whether there was a correlation between the gender of the leadership and the overall makeup of the residency cohorts with respect to the mean.
Public data were available for 171 ACGME-accredited EM residency programs in the US. Of the 7,185 residents identified, 4,598 (64%) were male compared to 2,587 (36%) female, giving an overall male to female (M:F) ratio of 1.78:1. This is similar to 2017 Association of American Medical Colleges (AAMC) data for all EM residents (35.5% female, M:F 1.81:1). We examined individual programs and found gender ratios among residents to range from 0.85-8.0 (Table). Of the 171 programs examined, only eight (5.6%) had a female-predominant dichotomy.
Gender distribution among program directors was similar to that of residents, showing 117 males and 54
Table. Frequency of gender ratios among emergency medicine (EM) residents from 2014-2017 from 171 EM programs. Ratios listed as male:female (M:F).
Ratio (M:F) Frequency Percent
< 1.00 8 4.7%
1.00 4 2.3% 1.01-2.00 87 50.9% 2.01-3.00 46 26.9% > 3.00 26 15.2%
Total 171 100%
females (2.17:1 ratio) and slightly less dichotomous than a previous report.6 When evaluated based on the gender of the program director, male to female resident ratio was 2.11 (SD = 0.91; 95% confidence interval [CI] 1.65-2.56) for programs with a female program director and 2.07 (SD = 0.81; 95% CI 1.87-2.28) for programs with a male program director. Thus, there was no statistically significant difference in the resident gender ratio based on the gender of the program director when comparing the two with a MannWhitney U Test (P = .93).
Throughout this paper, we use the term “gender” to refer to male or female. We recognize and respect that gender exists on a non-binary spectrum. Since the first stage of our data collection was created from publicly available information on program websites, we focused on determining only the male:female resident and program leadership ratios across the residency programs that existed in 2017. We recognize this binary categorization as a limitation of our study. Additionally, the AAMC reports the breakdown of residents by gender as “male” or “female,” categorized in a binary manner.1,3 While we recognize this dichotomy as a limited view, this binary categorization is also how gender is defined within the sphere of residency programs in the AAMC resident report.
Other residency resources such as the American Medical Association’s FREIDA database for residency programs by specialty also categorize programs’ current resident distribution as male or female.7 While we recognize that more consistent and proper use of the terms “gender” and “sex” are needed across reporting platforms, the binary categorization is all that was available from public data. Standardized reporting of gender as describing one’s own identity vs the term sex to describe “male” or “female” is necessary on a systemic level to more accurately capture the true composition of residency programs, and further research can be conducted when such data is available. As a next step, a follow-up survey can be sent directly to current residents to capture the true gender
diversity in EM residencies by having an interface in which respondents can self-identify.
The AAMC releases biennial data on gender distribution; however, this study provides further information on how the gender distribution varies across EM residencies. While the overall AAMC reported breakdown of gender in EM was 1.82:1 at the time of this data collection,1 our results were consistent with this with an overall ratio of 1.78:1. However, the wide variance with some programs as much as 8.0:1 M:F is not clearly evident in generalized data such as this and may have wide-reaching implications on residency selection and training.
DeFazio published similar findings in 2017 regarding gender distribution of residents and program director.6 Our study differs in that we examined resident classes with entering years 2014-2017 to account for three- and four-year programs vs the graduating classes as in DeFazio’s work. We found the percentage of female residents to be approximately 36%, in congruence with DeFazio’s estimation of 40%.
Additionally, we compared the ratio trends within programs, finding that resident gender ratios did not differ significantly depending on program leadership composition. Our findings on gender diversity within EM residency leadership were consistent with previous data showing 76% of programs with male directors6; however, direct influence of program director and faculty gender had not previously been evaluated.
The use of publicly available data as a proxy to estimate the ratio of males to females in EM residencies is limited by only partial confirmation of the identified programs. Additionally, there were some instances in which a program’s director changed from 2014-2017, which altered the gender ratio of program leadership.
While approximately half of medical school graduates are female, females comprise only about one third of EM residents. Current data shows a clear gender discrepancy within the specialty of EM, both in resident and leadership populations. This study identified the current discrepancies in EM residencies across the country showing an overall ratio of 1.78:1. We identified only eight programs with a female-predominant ratio of residents out of a cohort of 171 EM residency programs. Among program leadership, the number of males again predominated with a slightly higher than two-thirds to one-third ratio. The distribution of male and female residents does not appear to differ significantly when compared to the gender distribution of program leadership. Further studies are warranted to determine which program characteristics influence medical students’ decisions in choosing a residency program and whether existing gender distributions play a role in an applicant’s decisionmaking process.
Address for Correspondence: Alisa Wray, MD, MAEd, University of California, Irvine, Department of Emergency Medicine, 3800 W Chapman Avenue, Suite 3200, Orange, CA 92868. Email: awray@hs.uci.edu.
Conflicts of Interest: By the WestJEM article submission agreement, all authors are required to disclose all affiliations, funding sources and financial or management relationships that could be perceived as potential sources of bias. No author has professional or financial relationships with any companies that are relevant to this study. There are no conflicts of interest or sources of funding to declare.
Copyright: © 2022 Gibney et al. This is an open access article distributed in accordance with the terms of the Creative Commons Attribution (CC BY 4.0) License. See: http://creativecommons.org/ licenses/by/4.0/
1. ACGME Residents and Fellows by Sex and Specialty, 2017. AAMC.org. 2018. Available at: https://www.aamc.org/data-reports/ workforce/interactive-data/acgme-residents-and-fellows-sex-and-
specialty-2017. Accessed July 17, 2020.
2. 2019 FACTS: Enrollment, Graduates, and MD-PhD Data. AAMC. org. 2019. Available at: https://www.aamc.org/data-reports/studentsresidents/interactive-data/2019-facts-enrollment-graduates-and-mdphd-data. Accessed July 17, 2020.
3. Active Physicians by Sex and Specialty, 2017. AAMC.org. https:// www.aamc.org/data-reports/workforce/interactive-data/activephysicians-sex-and-specialty-2017. Published December 2017. Accessed July 17, 2020.
4. Hansen M, Schoonover A, Skarica B, et al. Implicit gender bias among US resident physicians. BMC Med Educ. 2019;19(1):396.
5. Accreditation Council for Graduate Medical Education (ACGME)Report Lists. ACGME.org. Available at: https://apps.acgme-i.org/ads/ Public. Accessed December 2019.
6. DeFazio CR, Cloud SD, Verni CM, et al. Women in emergency medicine residency programs: an analysis of data from Accreditation Council for Graduate Medical Education-approved residency programs. AEM Educ Train. 2017;1(3):175-8.
7. FREIDATM, 2022. American Medical Association.2022. Available at: https://freida.ama-assn.org. Accessed March 15, 2022.
* †
University of Pittsburgh Medical Center, Department of Emergency Medicine, Pittsburgh, Pennsylvania University of Michigan Medical School, Departments of Emergency Medicine and Learning Health Sciences, Ann Arbor, Michigan
Section Editor: Mark I. Langdorf, MD, MPHE
Submission history: Submitted August 24, 2022; Revision received August 25, 2022; Accepted August 25, 2022 Electronically published October 24, 2022
Full text available through open access at http://escholarship.org/uc/uciem_westjem
DOI: 10.5811/westjem.2022.8.58646
[West J Emerg Med. 2022;23(6)890–892.]
Gender representation matters to our learners1,2 and our patients,3,4 but emergency physicians have historically been disproportionately white men.5 Despite an increase in the number of women medical students,6 emergency medicine (EM) still has fewer women applying to the specialty than would be expected from the overall number of medical graduates.7,8 The current state of representation of sexual and gender minority (SGM) physicians is less well described, but emergency medicine has not been reported as one of the more welcoming specialties for these learners, and the presence of SGM physicians was correlated with an increased culture of inclusion.9
In the current issue of WestJEM, Gibney et al. report EM residency gender composition along purely binary lines. However, the composition of EM residents includes physicians who are outside of traditional binary definitions of sex and gender. A lack of acknowledgement of our colleagues from these backgrounds has important ramifications for them and our patients.
In a 2010 survey of SGM patients, most believed that providers were not adequately prepared to care for their needs.10 In that same study, more than half of the respondents reported facing discrimination when accessing health care, ranging from outright refusal of care to being subject to abusive language.10 Similarly, in a 2015 survey of transgender patients, nearly half reported avoiding the emergency department when they required acute care, citing fear of discrimination and previous negative experiences.11 An entire group of patients reporting such negative experiences when seeking care should be a clarion call for significant reform.
One potential solution to SGM patients’ significant discomfort in seeking emergency care would be diversifying
the composition of emergency physicians to reflect the general population more closely. As racial diversity in medicine has increased, studies have shown that racial concordance between patient and provider can improve both patient satisfaction and participation in health care decisions.4,12 Similar benefits to SGM patient care may come from cultivating diversity in sexual and gender identity in medicine. There is already data suggesting that increased visibility of SGM providers is linked to a more welcoming environment for SGM patients.13 There is also evidence that many patients prefer to be treated by a doctor of a specific gender, which has implications for equity of access to care when gender diversity in medicine is limited.4 Data is limited, however, as few studies have explored gender diversity in medicine, and most large scale sources of data have only assessed gender in binary terms.
Gibney et al., explored the potential effect of having more women in positions of leadership in emergency medicine departments on the make-up of their residency classes. In their study, the authors used photographs to assign gender to residents and faculty members. We believe this approach provides an opportunity for reflection on how current research practices and normative behaviors in emergency medicine have unintended negative consequences. What is often lost in the methods employed by researchers when studying issues of representation (including one of the authors of this editorial)14,15 is that gender is too often considered through a binary lens. This can be a result of data limitations while performing a secondary analysis of large-scale databases, where sex is generally recorded in a binary manner, and gender may not be recorded at all. 2014 legislation supported updating electronic medical record systems to record gender in
addition to sex, but this has not necessarily translated to data collection on physician gender makeup.16,17 Recent changes in application materials and reporting around gender by the AAMC18 and ACGME19 likely will allow for a more inclusive definition of gender in future studies.
Utilizing a binary lens can also be a consequence of studies designed toward advocating for equal representation and treatment of cis women where they are underrepresented. Dayal et al found that, despite being evaluated similarly as interns, over the course of residency, female emergency medicine residents were consistently evaluated lower than their male colleague across all subcompetencies.20 A similar difference was found in a national study of emergency medicine milestones,1 and the uniformity of this trend suggests implicit bias rather than diminished competency or skill, particularly considering that the study population began residency with similar skills and knowledge.20 Likewise in a study led by Mueller, female emergency medicine residents were more likely to get inconsistent feedback compared to their male colleagues, particularly surrounding culturally gendered attributes such as autonomy, independence, and assertiveness.21 While these studies indicate that female residents in emergency medicine are likely facing discrimination based on sex, there have not been studies that assess whether gender presentation plays a role in this discrimination, or if nonbinary and transgender trainees face additional discrimination related not only to sex, but also gender.
While the focus has long been on achieving gender parity between cisgender women and cisgender men in medicine, this is insufficient to support everyone. The consistent use of binary language and the exclusion of gender-diverse identities create gaps in our understanding of the treatment of gender-diverse individuals in our field. When reading the Gibney paper, we hope the reader considers how and by whom gender was assigned and how similar approaches in related research in education and workforce development can be reductive. An important consideration should be how, when trying to advocate for increased equity for one group, we may inadvertently create exclusionary language for others. In any case, repeatedly representing gender in binary terms has consequences for our understanding of the true make up of our emergency physician workforce, and how that representation may impact patient care. Continuing to focus on binary sex (male/ female, to the exclusion of intersex people) and binary gender (men/women, to the exclusion of nonbinary and transgender people) will hamper efforts to create true equity for physicians of all identities in emergency medicine. In our efforts to address structural barriers for some historically underrepresented groups, such as cisgender women, we must not further discourage other underrepresented groups from considering emergency medicine.
Address for Correspondence: John Burkhardt, MD, PhD, University of Michigan Health System, Department of Emergency Medicine, 1500 East Medical Center Drive, Ann Arbor, MI 48109. Email: jburkhar@med.umich.edu.
Conflicts of Interest: By the WestJEM article submission agreement, all authors are required to disclose all affiliations, funding sources and financial or management relationships that could be perceived as potential sources of bias. No author has professional or financial relationships with any companies that are relevant to this study. There are no conflicts of interest or sources of funding to declare.
Copyright: © 2022 Farthing et al. This is an open access article distributed in accordance with the terms of the Creative Commons Attribution (CC BY 4.0) License. See: http://creativecommons.org/ licenses/by/4.0/
1. Santen SA, Yamazaki K, Holmboe ES, et al. Comparison of male and female resident milestone assessments during emergency medicine residency training: a national study. Acad Med. 2020;95(2):263.
2. Ross DA, Boatright D, Nunez-Smith M, et al. Differences in words used to describe racial and gender groups in Medical Student Performance Evaluations. PloS one. 2017;12(8):e0181659.
3. Greenwood BN, Carnahan S, Huang L. Patient–physician gender concordance and increased mortality among female heart attack patients. Proc Natl Acad Sci. 2018:201800097.
4. Cooper-Patrick L, Gallo JJ, Gonzales JJ, et al. Race, gender, and partnership in the patient-physician relationship. JAMA 1999;282(6):583-9.
5. Zink BJ. (2005). Anyone, Anything, Anytime: A History of Emergency Medicine (Edition 1). Elsevier Health Sciences: United Kingdom.
6. Association of American Colleges. More Women Than Men Enrolled in U.S. Medical Schools in 2017. 2017. Availble at: https:// news.aamc.org/press-releases/article/applicant-enrollment-2017/ Accessed August 24, 2022.
7. Association of American Colleges. ERAS Statisitcs. Association of American Medical Colleges. 2020. https://www.aamc.org/erasstatistics-2019 Accessed August 24, 2022.
8. Association of American Medical Colleges. Table B3. Number of Active Residents, by Type of Medical School, GME Specialty, and Gender. Association of American Medical Colleges. 2016. Available at: https://www.aamc.org/data-reports/students-residents/interactivedata/table-b3-number-active-residents-type-medical-school-gmespecialty-and-sex. Accessed August 24, 2022.
9. Sitkin NA, Pachankis JE. Specialty choice among sexual and gender minorities in medicine: the role of specialty prestige, perceived inclusion, and medical school climate. LGBT Health. 2016;3(6):451-60.
10. Legal L. When health care isn’t caring: Lambda Legal’s survey of discrimination against LGBT people and people with HIV. 2010. Available at: https://www.lambdalegal.org/sites/default/files/
publications/downloads/whcic-report_when-health-care-isnt-caring. pdf. Accessed August 24, 2022.
11. Samuels EA, Tape C, Garber N, et al. “Sometimes you feel like the freak show”: a qualitative assessment of emergency care experiences among transgender and gender-nonconforming patients. Ann Emerg Med. 2018;71(2):170-82.e1.
12. Jetty A, Jabbarpour Y, Pollack J, et al. Patient-physician racial concordance associated with improved healthcare use and lower healthcare expenditures in minority populations. J Racial Ethn Health Disparities. 2022;9(1):68-81.
13. Mansh M, Garcia G, Lunn MR. From patients to providers: changing the culture in medicine toward sexual and gender minorities. Acad Med. 2015;90(5):574-80.
14. Burkhardt J, DesJardins S, Gruppen L. Diversity in emergency medicine: are we supporting a career interest in emergency medicine for Everyone? Ann Emerg Med. 2019;74(6):742-50.
15. Burkhardt J, DesJardins S, Gruppen L. Identifying barriers to a diverse emergency physician workforce: identifying when and how leaks occur in the pipeline. Ann Emerg Med. 2020;76(1):113-5.
Farthing et al.16. Cahill SR, Baker K, Deutsch MB,et al. Inclusion of sexual orientation and gender identity in stage 3 meaningful use guidelines: a huge step forward for LGBT health. LGBT Health. 2016;3(2):100-2.
17. Cahill S, Makadon HJ. Sexual orientation and gender identity data collection update: US government takes steps to promote sexual orientation and gender identity data collection through meaningful use guidelines. LGBT Health. 2014;1(3):157-60.
18. Association of American Colleges. 2023 AMCAS Application Workbook. 2022. Available at: https://students-residents.aamc.org/ media/11736/download. Accessed August 24, 2022.
19. Accreditation Council for Graduate Medical Education. (Academic Year 2020-2021). Data Resource Book. Accreditation Council for Graduate Medical Education (ACGME): Chicago, IL.
20. Dayal A, O’Connor DM, Qadri U, et al. Comparison of male vs female resident milestone evaluations by faculty during emergency medicine residency training. JAMA Intern Med. 2017;177(5):651-7.
21. Mueller AS, Jenkins TM, Osborne M, et al, Arora VM. Gender differences in attending physicians’ feedback to residents: a qualitative analysis. J Grad Med Educ. 2017;9(5):577-85.
*
Jessica Bailey, MD*
Nicole Nadeau, MD†
Kamyron Jordan, MD‡
Hannah Yerxa, MD‡
Samuel H.F. Lam, MD, MPH§
Section Editor: Muhammad Waseem, MD
Oregon Health & Science University, Department of Emergency Medicine, Portland, Oregon Massachusetts General Hospital, Department of Emergency Medicine, Boston, Massachusetts
Oregon Health & Science University, Department of Pediatrics, Portland, Oregon Sutter Medical Center Sacramento, Department of Emergency Medicine, Sacramento, California
Submission history: Submitted May 6, 2022; Revision August 3, 2022; Accepted July 28, 2022
Electronically published October 18, 2022
Full text available through open access at http://escholarship.org/uc/uciem_westjem
DOI: 10.5811/westjem.2022.7.57340
Introduction: The purpose of this study was to quantify the effects of the coronavirus disease 2019 (COVID-19) pandemic on pediatric emergency departments (PED) across the United States (US), specifically its impact on trainee clinical education as well as patient volume, admission rates, and staffing models.
Methods: We conducted a cross-sectional study of US PEDs, targeting PED clinical leaders via a web-based questionnaire. The survey was sent via three national pediatric emergency medicine distribution lists, with several follow-up reminders.
Results: There were 46 questionnaires included, completed by PED directors from 25 states. Forty-two sites provided PED volume and admission data for the early pandemic (March-July 2020) and a pre-pandemic comparison period (March-July 2019). Mean PED volume decreased >32% for each studied month, with a maximum mean reduction of 63.6% (April 2020). Mean percentage of pediatric admissions over baseline also peaked in April 2020 at 38.5% and remained 16.4% above baseline by July 2020. During the study period, 33 (71.1%) sites had decreased clinician staffing at some point. Only three sites (6.7%) reported decreased faculty protected time. All PEDs reported staffing changes, including decreased mid-level use, increased on-call staff, movement of staff between the PED and other units, and added tele-visit shifts. Twenty-six sites (56.5%) raised their patient age cutoff; median was 25 years (interquartile ratio 25-28). Of 44 sites hosting medical trainees, 37 (84.1%) reported a decrease in number of trainees or elimination altogether. Thirty (68.2%) sites had restrictions on patient care provision by trainees: 28 (63.6%) affected medical students, 12 (27.3%) affected residents, and two (4.5%) impacted fellows. Fifteen sites (34.1%) had restrictions on procedures performed by medical students (29.5%), residents (20.5%), or fellows (4.5%).
Conclusion: This study highlights the marked impact of the COVID-19 pandemic on US PEDs, noting decreased patient volumes, increased admission rates, and alterations in staffing models. During the early pandemic, educational restrictions for trainees in the PED setting disproportionately affected medical students over residents, with fellows’ experience largely preserved. Our findings quantify the magnitude of these impacts on trainee pediatric clinical exposure during this period. [West J Emerg Med. 2022;23(6)893–896.]
The severe acute respiratory syndrome coronavirus-2, cause of coronavirus disease 2019 (COVID-19), was first identified by the World Health Organization (WHO) in December 2019, and by March 2020 a worldwide pandemic was declared.1 With concerns for a strained medical system, many healthcare facilities instructed patients to seek medical attention for life-threatening emergencies only.2 Emergency departments (ED) nationwide began noting drastic drops in patient census.3,4,5 During the COVID-19 pandemic, academic hospitals faced the additional burden of maintaining quality medical trainee education amid numerous challenges, including potential disease exposure, declining patient volumes, and strict personal protective equipment (PPE) allocation.
Published studies have explored the consequences of COVID-19 on general ED operations and staffing as well as educational impacts within specific medical and surgical specialties.6,7,8 However, there has been little research regarding the experience of faculty and trainees working specifically within pediatric emergency departments (PED). Our objective in this study was to identify the impact of the early COVID-19 pandemic on PEDs in the United States (US). Specifically, we sought to describe the effects on physician staffing, trainee presence, and imposed restrictions on patient care, while additionally quantifying changes in patient volumes, admission rates, and patient age limits.
We conducted a cross-sectional survey of US PEDs. Subjects were eligible to participate if they served in a pediatric emergency administrative directorship role. We contacted pediatric emergency medicine (PEM) leaders via email solicitation through pediatric subgroups of the American College of Emergency Physicians and the Society for Academic Emergency Medicine. Study recruitment information was also posted on the PEM-EM listserv, a publicly accessed research and collaboration hub within the PEM online community The survey links were provided to prospective participants a total of three times between October 2020–January 2021.
The 21-question survey was developed by a multicenter team of emergency physicians and pediatric emergency physicians with the aid of an academic research navigator. Study data was collected and managed using REDCap electronic data capture tools hosted at Oregon Health & Science University. Survey content asked for only aggregate data; thus, the institutional review board granted a waiver of informed consent. Participants provided monthly PED census and admission data for the study period (April–July 2020, deemed the “early pandemic” period) as well as a comparison
period from the previous year (April- July 2019, deemed the “pre-pandemic” period). We focused additional survey questions on two areas of interest: alterations to departmental staffing and trainee clinical involvement.
Aggregate data was reviewed within the RedCap database. Survey answers were expressed as frequencies and proportions for categorical variables or means (+/- SD) or medians (+/- interquartile range [IQR]) for continuous variables. Changes in pre-pandemic and early pandemic values were calculated and expressed as percentages. We performed statistical analyses using Microsoft Excel (Microsoft Corporation, Redmond, WA).
There were 47 completed questionnaires from PED directors in 25 US states (Table). One hospital duplication was noted on manual ZIP code review; in this case, only the survey completed by the more senior leadership was included for 46 questionnaires total. We were unable to calculate target audience response rate given the mixed nature of distribution list recipients, with PED directors representing only a small and unspecified number of their subscribers. The median annual volume was 20,001-30,000. Surveyed sites were a mix of freestanding children’s hospitals, general academic/ university medical centers, and community hospitals.
Table. Characteristics of survey respondents. Variable Number (percentages) State (N = 46) CA, FL, IL 5 (10.9) each MN, NY 3 (6.5) each NC, OR, PA, TN, TX 2 (4.3) each AZ, CT, IA, ME, MA, MD, MI, NV, NJ, NM, OH, OK, RI, WA, WI 1 (2.2) each PED setting (N = 46)
Academic/ university center 17 (37.0)
Freestanding children's hospital 12 (26.1)
Community-based hospital 11 (23.9)
Combined adult and pediatric emergency departments 5 (10.9)
Other 1 (2.2)
PED annual volume (N = 46)
< 10,000 patients per year 2 (4.3) 10,001-20,000 patients per year 13 (28.2) 20,001-30,000 patients per year 11 (23.9) 30,001-40,000 patients per year 3 (6.5)
>40,000 patients per year 17 (37.0) PED, pediatric emergency department.
Pre-pandemic, surveyed PEDs reported having treated patients up to 17-22 years of age. During the early COVID-19 pandemic, 26 sites (56.5%) raised their patient age cutoff, to a median of 25 years (IQR 25-28 years). All PEDs reported staffing changes of some kind. Only three sites (6.7%) reported decreased faculty protected time. (See Appendix A for detailed PED operational responses.)
Forty-two sites provided PED volume and admission data for the months of March-July 2020 and March-July 2019. Mean percentage changes over time are presented in the Figure. The largest mean PED volume change occurred in April 2020, with a decrease of 63.6% compared to April 2019. At the same time, increase in mean admission rate peaked in April 2020 with a rise of 38.4% compared to April 2019. These trends continued, although they were less pronounced through the end of the study period in July 2020 with mean volumes down 33.5% and mean admission rates up 16.4% from the prior year.
In this retrospective survey of US PEDs, we found that patient volume dropped precipitously while percentages of patients admitted increased considerably during the early stages of the COVID-19 pandemic. A significant proportion of surveyed PEDs also implemented restrictions on patient care by medical trainees, limiting their educational experiences. The timing and magnitude of PED volume drop in our study is consistent with previously published studies from the US and around the world during the pandemic.9,10,11 In many cases, the census decline occurred despite increased PED patient age cut-offs. On the other hand, the percentage of PED admissions increased during the same period. As a result of decreased patient volumes, the staffing model of many PEDs changed. Fortunately, protected time for PED faculty remained relatively intact, with only four sites reporting a temporary reduction in research, education, or administrative hours.
PED, pediatric emergency department.
Forty-four (95.7%) of the sites reported hosting trainees (medical students, residents, fellows) during normal operating times. (See Appendix B for detailed PED education responses.). Of those, 36 (78.3%) reported a decrease in numbers of trainee or eliminating trainees altogether (70.5% and 11.4%, respectively), and 21 sites (47.7%) reported decreased total ED hours for the trainees who they did maintain. Thirty (68.2%) of the sites had restrictions on patient care provision by trainees. Of these, 28 sites (63.6%) placed restrictions on medical students, 12 sites (27.3%) restricted residents, and only two sites (4.5%) restricted fellows. A minority of the sites (15, 34.1%) placed specific restrictions on procedures performed by trainees: medical students (13, 29.5%); residents (9, 20.5%); and fellows (2, 4.5%) (Appendix B).
Our study provides valuable insight into how decreasing patient volumes and safety concerns associated with the pandemic impacted the clinical experience for medical students, residents, and fellows rotating through US PEDs. Of significance, we found that while trainees of all levels were appreciably influenced by the COVID-19 pandemic, the repercussions for medical students were the most significant. On March 17, 2020, the Association of American Medical Colleges issued guidelines strongly supporting medical schools pausing clinical rotations for medical students.12 In addition to their decreased numbers or complete elimination from many PED sites, most remaining students were restricted in their provision of patient care or procedures performed. A recent survey found that most US medical students felt that removal from clinical rotations was appropriate but that it resulted in decreased opportunity to develop skills needed for residency.13 It remains to be seen whether PED patient restrictions during this period will impair future residency choice or interest in PEM as a subspecialty.
While there have been published studies exploring the effects of the COVID-19 pandemic on surgery, radiology, and neurosurgery residents, there is much less data on its impact on US EM residents.14,15,16 For many EM residents, PED rotations represent the bulk of their pediatric clinical exposure during residency. Access to the full spectrum of pediatric cases by EM residents is widely variable across programs, and a large portion of residents demonstrate deficits in their exposure to common pediatric diagnoses by completion of training.17 In our study, 27.3% of the PEDs reported restriction in residents providing patient care and 20.5% reported restriction in residents performing procedures.
It would follow that the pandemic-related decrease in PED patient volume and restrictions on care provision during those rotations may have further limited EM residents’ opportunities for pediatric-specific training. It is currently unknown whether these challenges could additionally affect physician levels of confidence in treating future pediatric patients presenting to the
Volume 23, no. 6: November 2022 895 Western Journal of Emergency Medicine
Figure 1. Mean pediatric emergency department volume and admission percentage changes over time.ED. Individual programs would benefit from careful review of the pandemic period’s impact on their resident caseloads and consider expanding opportunities for other learning modalities (such as didactics, case-based discussions, or simulations) to address any potential clinical knowledge gaps in pediatrics.
There are several limitations to this study. With a voluntary survey method, the possibility of selection bias exists, in that physicians may have been more likely to complete the survey if they felt their departments had been significantly altered by the pandemic. In addition, the data was physician-reported and hence unverified. Finally, while we made significant efforts to obtain a nationally representative sample and obtained data from 25 states and all categories of practice settings, the survey response was somewhat modest and may not be entirely representative of the experience of all US PEDs.
This survey provided a cross-sectional perspective of the impact the early portion of the COVID-19 pandemic had on US pediatric emergency departments. Medical trainee education was affected by a sustained drop in pediatric ED volumes as well as institutional restrictions on patient care and procedure involvement, with medical students being disproportionately affected. Our study highlights the dynamic challenges PEDs face during a public health emergency and suggests that additional attention is needed to ensure medical learners receive the support and clinical experience they require during such unprecedented times.
Address for Correspondence: Jessica Bailey, MD, Oregon Health & Science University, Dept of Emergency Medicine, Mailcode CDWEM, 3181 SW Sam Jackson Park Road, Portland OR 97239. Email: Bailejes@ohsu.edu.
Conflicts of Interest: By the WestJEM article submission agreement, all authors are required to disclose all affiliations, funding sources and financial or management relationships that could be perceived as potential sources of bias. No author has professional or financial relationships with any companies that are relevant to this study. There are no conflicts of interest or sources of funding to declare.
Copyright: © 2022 Bailey et al. This is an open access article distributed in accordance with the terms of the Creative Commons Attribution (CC BY 4.0) License. See: http://creativecommons.org/ licenses/by/4.0/
1. Coronavirus disease (COVID-19). World Health Organization. 2020. Available at: https://www.who.int/news-room/q-a-detail/coronavirusdisease-covid-19. Accessed January 13, 2020.
2. Moghadas SM, Shoukat A, Fitzpatrick MC, et al. Projecting hospital utilization during the COVID-19 outbreaks in the United States. Proc Natl
Acad Sci USA. 2020;117(16):9122-6.
3. Jeffery MM, D’Onofrio G, Paek H, et al. Trends in emergency department visits and hospital admissions in health care systems in 5 States in the first months of the COVID-19 pandemic in the US. JAMA Intern Med. 2020;180(10):1328-33.
4. National Syndromic Surveillance Program (NSSP): Emergency Department Visits Percentage of Visits for COVID-19-Like Illness (CLI) or Influenza-like Illness (ILI) September 29, 2019 - April 4, 2020. 2020. Available at: https://www.cdc.gov/coronavirus/2019-ncov/covid-data/ covidview/04172020/covid-like-illness.html. Accessed January 1, 2021.
5. Wong LE, Hawkins JE, Langness S, et al. Where are all the patients? Addressing COVID-19 fear to encourage sick patients to seek emergency care. NEJM Catalyst. 2020.
6. Baugh JJ, White BA, McEvoy D, et al. The cases not seen: patterns of emergency department visits and procedures in the era of COVID-19. Am J Emerg Med. 2021;46:476-81.
7. Ferrara M, Romano V, Steel DH, et al. Reshaping ophthalmology training after COVID-19 pandemic. Eye (Lond). 2020;34(11):2089-97.
8. Gupta T, Nazif TM, Vahl TP, et al. Impact of the COVID-19 pandemic on interventional cardiology fellowship training in the New York metropolitan area: a perspective from the United States epicenter. Catheter Cardiovasc Interv. 2021;97(2):201-5.
9. Hartnett KP, Kite-Powell A, DeVies J, et al. Impact of the COVID-19 pandemic on emergency department visits - United States, January 1, 2019–May 30, 2020. MMWR Morb Mortal Wkly Rep 2020;69(23):699-704.
10. Lee L, Mannix R, Guedj R, et al. Paediatric ED utilisation in the early phase of the COVID-19 pandemic. Emerg Med J. 2021;38(2):100-2.
11. Auerbach MA, Abulebda K, Bona AM, et al. A national US survey of pediatric emergency department coronavirus pandemic preparedness. Pediatr Emerg Care. 2021;37(1):48-53.
12. Association of American Medical Colleges. Important guidance for medical students on clinical rotations during the coronavirus (COVID-19) outbreak. 2020. Available at: https://www.aamc.org/news-insights/pressreleases/important-guidance-medical-students-clinical-rotations-duringcoronavirus-covid-19-outbreak. Accessed March 31, 2021.
13. Harries AJ, Lee C, Jones L, et al. Effects of the COVID-19 pandemic on medical students: a multicenter quantitative study. BMC Med Educ. 2021;21(1):14.
14. Poyiadji N, Klochko C, LaForce J, et al. COVID-19 and radiology resident imaging volumes-differential impact by resident training year and imaging modality. Acad Radiol. 2021;28(1):106-11.
15. Pennington Z, Lubelski D, Khalafallah AM, et al. Letter to the editor: “Changes to neurosurgery resident education since onset of the COVID-19 pandemic.” World Neurosurg. 2020;139:734-40.
16. Ostapenko A, McPeck S, Liechty S, et al. Has COVID-19 hurt resident education? A network-wide resident survey on education and experience during the pandemic. J Med Educ Curric Dev. 2020;7:2382120520959695.
17. Li J, Roosevelt G, McCabe K, et al. Pediatric case exposure during emergency medicine residency. AEM Educ Train. 2018 Oct 7;2(4):317-27.
Marion Douplat, MD, PhD*#
Antoine Gavoille, MD†**
Fabien Subtil, MD†**
Julie Haesebaert, MD*††
Laurent Jacquin, MD‡
Guillaume Durand, MD§
Jean-Christophe Lega, MD, PhD¶
Thomas Perpoint, MD||
Veronique Potinet, MD#
Julien Berthiller, MS††
Nathalie Perreton, MS††
Karim Tazarourte, MD, PhD‡
Université Claude Bernard Lyon 1, Research on Healthcare Performance (RESHAPE), INSERM U1290, Lyon, France Université de Lyon Université Lyon 1, CNRS, Laboratoire de Biométrie et Biologie Évolutive UMR 5558, Villeurbanne, France Hospices Civils de Lyon, Edouard Herriot Hospital, Department of Emergency Medicine, Lyon, France Villefranche Hospital, Department of Emergency Medicine, Gleize, France Hospices Civils de Lyon, Lyon Sud Hospital, Department of Internal and Vascular Medicine, Pierre Bénite, France Service de Maladies Infectieuses et Tropicales, Hôpital Croix-Rousse Hospices Civils de Lyon, Lyon, France Hospices Civils de Lyon, Lyon Sud Hospital, Department of Emergency Medicine, Pierre Bénite, France Pôle de Santé Publique, Service de Recherche et d’Epidémiologie Cliniques, Hospices Civils de Lyon, France Service de Biostatistique, Hospices Civils de Lyon, Lyon France
Section Editor: Stephen Liang, MD
Submission history: Submitted April 14, 2022; Revision received July 8, 2022; Accepted July 19, 2022
Electronically published October 24, 2022 Full text available through open access at http://escholarship.org/uc/uciem_westjem DOI: 10.5811/westjem.2022.7.57135
Introduction: Few studies have investigated the management of COVID-19 cases from the operational perspective of the emergency department (ED), We sought to compare the management and outcome of COVID-19 positive and negative patients who presented to French EDs.
Methods: We conducted a prospective, multicenter, observational study in four EDs. Included in the study were adult patients (≥18 years) between March 6–May 10, 2020, were hospitalized, and whose presenting symptoms were evocative of COVID-19. We compared the clinical features, management, and prognosis of patients according to their confirmed COVID-19 status.
Results: Of the 2,686 patients included in this study, 760 (28.3%) were COVID-19 positive. Among them, 364 (48.0%) had hypertension, 228 (30.0%) had chronic cardiac disease, 186 (24.5%) had diabetes, 126 (16.6%) were obese, and 114 (15.0%) had chronic respiratory disease. The proportion of patients admitted to intensive care units (ICU) was higher among COVID-19 positive patients (185/760, 24.3%) compared to COVID-19 negative patients (206/1,926, 10.7%; P <0.001), and they required mechanical ventilation (89, 11.9% vs 37, 1.9%; P <0.001) and high-flow nasal cannula oxygen therapy (135, 18.1% vs 41, 2.2%; P < 0.001) more frequently. The in-hospital mortality was significantly higher among COVID-19 positive patients (139, 18.3% vs 149, 7.7%; P <0.001).
Conclusion: Emergency departments were on the frontline during the COVID-19 pandemic and had to manage potential COVID-19 patients. Understanding what happened in the ED during this first outbreak is crucial to underline the importance of flexible organizations that can quickly adapt the bed capacities to the incoming flow of COVID-19 positive patients. [West J Emerg Med. 2022;23(6)897–906.]
The coronavirus disease 2019 (COVID-19) pandemic was declared on March 11, 2020, by the World Health Organization.1-3 From December 31, 2019–January 2021, 98,280,844 cases were confirmed worldwide, among which 32,848,998 were in Europe.4 France was one of the countries most impacted by the COVID-19 pandemic, with 3,130,629 confirmed cases and 74,800 deaths during this period.5 The first outbreak started in France at the beginning of March 2020, and containment was officially established from March 17–May 11, 2020.5
French emergency departments (ED) were on the frontline during the COVID-19 outbreak and oversaw patient triage, based on COVID-19 suspicion, as they were in other countries.6,7 The role of the ED in patient triage was crucial to contain and isolate the suspected COVID-19 cases. The need for a dynamic in patient flow processing has been highlighted,8 and several hospital emergency management plans have been proposed, including a before-admission triage center.9-11 Several studies have focused on the outcomes of patients during the COVID-19 pandemic, but few have investigated the management of COVID-19 cases from the perspective of EDs.12-14 However, the need to understand how to manage these patients in EDs is necessary to avoid crowding, guarantee the safety of healthcare workers, anticipate the future need for beds and staff members, and to be able to continue caring for non-COVID-19 patients.12,15
As the number of COVID-19 cases was rapidly increasing in France at the beginning of March 2020 we set up the COVID-ER cohort study. Our goal was to provide an exhaustive description over time of the management and outcome of patients presenting to French EDs for COVID-19 suspicion from March-May 2020 and to determine whether they were different depending on the patients’ COVID-19 status. We describe the characteristics associated with COVID-19 diagnosis confirmation and prognosis, including admission to the intensive care unit (ICU) and all-cause mortality.
We conducted a multicenter prospective observational cohort study March 6–May 10, 2020 in four French EDs within three university hospitals (Hôpital Edouard Herriot, Centre Hospitalier Lyon Sud, and Hôpital de la Croix-Rousse) and one general hospital (Hôpital de Villefranche) in and around Lyon. The Lyon urban area is the second largest in France with a population of 1.6 million. The three university EDs are in urban hospitals: two of them receive more than 40,000 ED visits per year, while the third has 80,000 visits annually. The ED of the general hospital is suburban and has 50,000 ED visits per year. This study complied with the Declaration of Helsinski, and was approved by both the institutional ethics committee of the Hospices Civils of
Health Research Capsule
What do we already know about this issue?
Emergency departments were on the frontline during the COVID-19 outbreak and oversaw patient triage.
What was the research question? We sought to determine whether the management of patients presenting to French EDs for suspected COVID-19 was different depending on their COVID-19 status
What was the major finding of the study? Patients admitted to intensive care units was higher among COVID-19 positive (24.3%) vs negative patients (10.7%; P <0.001).
How does this improve population health? Our findings underline the importance of organizational flexibility to quickly adapt hospital capacities to the surge of COVID-19 positive patients into EDs
Lyon (number [n°] 20-47) and the Comission Nationale de l’Informatique et des Libertés (CNIL, French commission for data protection; n° 20-090), as required by French law. This paper complies with the STROBE guidelines for reporting observational studies.16 Per French legislation, only oral consent was required. This was approved by the ethics committee of the Hospices Civils of Lyon (20-47) and the CNIL (n° 20-090). All patients were informed that their data was being collected as part of the COVID-ER study via written notice and had the opportunity to object to the collection of their information.
We included in the study all adult patients (≥18 years) presenting to the ED for suspected COVID-19 (with symptoms evocative of severe acute respiratory syndrome coronavirus 2 [SARS-CoV-2]) infection and requiring hospitalization. We classified the clinical presentation of suspected COVID-19 patients according to their level of severity: level 1 represented the most critical patients, who were initially managed in the ED and then admitted to the ICU for intubation; levels 2 and 3 were managed in the ED. Level 4 cases met none of the criteria for severity when compared to levels 1-3; hence, they were not managed in the ED and were sent home with medical advice (Supplementary Figure S1). Healthcare workers who were infected did not go to work and were managed by the occupational health service of each
hospital. However, if they were in respiratory distress, they could present to the ED.
We excluded patients without symptoms of SARS-CoV-2 infection, as well as patients with another confirmed infectious diagnosis in the ED such as intra-abdominal, skin and soft tissue infection, or genital and urinary tract infection, and those with suspected meningitis. Also excluded were COVID-19-suspected patients who did not require hospitalization and were sent home without testing, due to the limited availability of SARS-CoV2-specific reverse transcriptase polymerase chain reaction (RTPCR) tests in France at the time of the study.
Patients were tested for SARS-CoV-2 infection using RT-PCR on respiratory samples. The RT-PCR assays were performed using the RdRp IP2-IP4 primers and probes per Institut Pasteur protocol, which is used in France for SARS-CoV-2 detection. This protocol, detecting two targets in the RdRp gene, was adapted on the Panther Fusion molecular system for high throughput diagnostics (Hologic Inc, Marlborough, MA). A confirmed case of COVID-19 was defined as a SARS-CoV-2-specific positive RT-PCR test. In cases of multiple sampling during hospitalization, we classified the final virological diagnostic as positive if one of the samples had tested positive. We compared the management and outcome between COVID-19 positive and negative patients among the population included.
We collected the following data for each patient from electronic health records: demographic characteristics (age, gender, place of residence, functional independence, healthcare worker status); and clinical characteristics (symptoms and vital signs at ED admission, size, weight, chronic underlying comorbidities, smoking status). The chronic underlying diseases considered were as follows: hypertension; diabetes; clinical heart failure (NYHA functional class III or IV), obesity (body mass index [BMI]≥30 kilograms per meter squared); chronic respiratory disease defined as chronic restrictive or obstructive pulmonary disease; chronic kidney disease (glomerular filtration rate <90 milliliters per minute); chronic neurological disorder; chronic hematological disease; immunosuppression; transplant; cirrhosis; dementia (if it had been documented by a MiniMental State Examination score under 24); malignancy (defined as current malignancy with or without metastasis); psychosis; and human immunodeficiency virus infection. We also collected laboratory findings (other viral and bacterial infection) and radiology findings (chest computed tomography [CT]). A CT was considered positive for COVID-19 if there were features evocative of COVID-19: ground-glass opacity; crazy-paving pattern; sub-pleural bands of consolidations, reversed halo sign; and lung consolidations.
We collected the vital signs recorded in the ED and during hospitalization for the whole cohort. We also collected patient management data: admission from the ED to the ICU
or conventional hospitalization, secondary admission from conventional hospitalization to the ICU; ventilation support; decision to withhold or withdraw life-sustaining treatments; and re-hospitalization within 30 days after discharge.
Continuous variables were expressed as mean ± SD, or median (interquartile range [IQR]) for duration, and categorical variables as count (percentage). We compared the characteristics of COVID-19 positive and COVID-19 negative patients using chi square and Fisher’s exact tests, or the Wilcoxon rank-sum test. Comparisons of outcomes between the COVID-19 positive and COVID-19 negative groups were performed using logistic regression for binary outcomes and using linear regression with logarithmic transformation for delays.
We performed multivariate analyses to take into account putative confounding factors. Adjustments were performed on factors that displayed the greatest imbalance between COVID-19 positive and negative patients, except factors related to the condition at admission, and that were associated with most of the different outcomes in univariate analyses. The effect of COVID-19 status on the outcomes was adjusted for age, gender, BMI, smoking status, loss of autonomy (correlated with the place of residence), chronic respiratory disease, malignancy, bacterial infection, and oxygen requirement. The viral infection status was not included in multivariate analyses due to multicolinearities. Unless specified otherwise, the P-values reported corresponded to the ones of multivariate analyses. P-values were considered significant below 0.05. We performed analyses using R, version 3.6.1. (R Core Team [2019], Vienna, Austria, https:// www.R-project.org/).
From March 6–May 10, 2020, 20,341 patients presented to the participating EDs, of whom 7,199 (35.4%) were hospitalized and 2,789 were suspected of SARS-CoV-2 infection. A total of 2,686 patients were eventually included in our study (1,926 COVID-19 positive patients and 760 COVID-19 negative patients (Figure 1).
The mean ± SD age of COVID-19 positive patients was 71.5 ± 16.5 years, of whom 618 (81.6%) presented from home and 119 (15.7%) from long-term care facilities. A total of 395 (52.1%) COVID-19 positive patients were referred by emergency medical services. Hypertension was present in 364 (48.0%) COVID-19 positive patients; chronic cardiac disease in 228 (30.0%); diabetes in 186 (24.5%); obesity in 126 (16.6%); and chronic respiratory disease in 114 (15.0%) (Table 1).
Oxygen was required upon arrival at the EDs for 179 (23.6%) COVID-19 positive patients, and for 134 (18.3%)
Figure 1. Trial profile of patients admitted to emergency departments during the study period.
COVID-19, coronavirus disease 2019; PCR, polymerase chain reaction.
COVID-19 negative patients. A total of 215 (30.6%) COVID-19 positive patients presented to the EDs more than seven days after symptom onset while 315 (19.0%) COVID-19 negative patients did, and 105 (15.0%) COVID-19 positive patients presented during the first 24 hours after symptom onset (while 613 (36.9%) COVID-19 negative patients did). Fever was encountered in 536 (70.5%) COVID-19 positive patients, dyspnea in 494 (65.0%), cough in 420 (55.3%), weakness in 399 (52.5%), and anosmia in 51 (6.7%). Bacterial infection was found in 57 (9.3%) COVID-19 positive patients and co-viral infection in eight (2.5%). A total of 454 (59.7%) COVID-19 positive patients had a CT evocative of COVID-19, while 237 (12.3%) COVID-19 negative patients did (Table 1).
A total of 185 (24.3%) COVID-19 positive patients were admitted to the ICU while 206 (10.7%) COVID-19 negative patients were admitted (odds ratio [OR] 2.24 [1.57; 3.20]; P <0.001). The proportion of patients secondarily admitted to the ICU was also higher among COVID-19 positive patients compared to COVID-19 negative patients (OR 5.90 [3.47; 10.24]; P <0.001). Invasive mechanical ventilation and highflow nasal cannula oxygen therapy were more often used for COVID-19 positive than negative patients (OR 6.82 [3.87, 12.42]; P <0.001, and OR 10.08 [5.89, 17.87]; P <0.001, respectively (Table 2).
The number of conventional hospitalizations was higher among COVID-19 negative patients compared to COVID-19 positive patients (P = 0.036; Table 2). Among the 673 COVID-19 positive patients who were conventionally hospitalized, 53 (7.9%) were discharged early (<48 hours) from the hospital, while 408 (23.9%) COVID-19 negative patients were discharged early (Figure 2).
Mortality during hospitalization was significantly higher among COVID-19 positive patients compared to COVID-19 negative patients (OR 3.33, [2.02, 5.50]; P <0.001). Among the 185 COVID-19 positive patients who were admitted to the ICU, 46 (24.9%) died, compared to 32/206 (15.6%) ICU-admitted COVID-19-negative patients. Among the 673 COVID-19 positive patients who were conventionally hospitalized, 92 (9.7%) died, compared to 109/1,756 (6.2%) COVID-19 negative patients (Table 2). Only one (0.1%) COVID-19 positive patient compared to eight (0.4%) COVID-19 negative patients died in the ED (Figure 2). The number of decisions to withhold or withdraw life-sustaining treatments was higher during hospitalization concerning COVID-19 positive patients than COVID-19 negative patients (OR 2.08 [1.31, 3.28]; P = 0.002), and there was no significant difference in EDs (OR 1.81 [0.85, 3.72], P = 0.113 (Table 2).
The median [IQR] length of stay in hospital was significantly longer for COVID-19 positive patients (10 [6-15] days) compared to COVID-19 negative patients (6 [2-11] days; P <0.001). After hospital discharge, a greater proportion of COVID-19 positive patients were admitted into a rehabilitation department before returning home (157/554, 28.3%) compared to COVID-19 negative patients (245/1627, 15.1%; P <0.001 (Table 2).
The ICU admission rate was higher for patients with a positive COVID-19 status (P <0.001); oxygen requirement (P <0.001); male gender (P <0.001), and lower with increasing age (P <0.001) and malignancy (P <0.001) in multivariate analysis (Table 3). The mortality risk was higher with a positive COVID-19 status (P <0.001), for men (P = 0.006); malignancy (P = 0.039); oxygen requirement (P <0.001); bacterial infection (P <0.001); and with increasing age (P <0.001) in multivariate analysis (Table 4).
The study cohort was composed of a large sample of patients admitted to the ED for suspected COVID-19 over a period that included the totality of the first containment in France. The region of Lyon was one of the most impacted during the first outbreak, after the Grand Est region and the Île-de-France region, including Paris, which provided an interesting viewpoint regarding the management of the COVID-19 pandemic in EDs.
We found that among the patients presenting to EDs with suspected COVID-19, those who were actually COVID-19 positive were more often admitted to the ICU than were conventionally hospitalized, required more invasive mechanical ventilation, and stayed longer in the hospital compared to COVID-19 negative patients. The results presented herein also
Table 1. Clinical, radiological, and laboratory characteristics of patients according to their COVID-19 status.
Characteristics
COVID-19 negative patients (n = 1,926, 71.7%) COVID-19 positive patients (n = 760, 28.3%) P
Age (years) 70.8 ± 18.6 71.5 ± 16.5 0.731
Female gender 976 (50.7%) 330 (43.4%) <0.001
Living place (n = 2,653) 0.014
Home 1,579 (83.3%) 618 (81.6%)
Long-term care facilities 226 (11.9%) 119 (15.7%) Other hospital 54 (2.8%) 11 (1.5%)
Homeless 6 (0.3%) 1 (0.1%) Other 31 (1.6%) 8 (1.1%)
Referred to ED by (n = 2,648) <0.001
Emergency medical services 853 (45.1%) 395 (52.1%)
General practitioners 497 (26.3%) 201 (26.5%)
Individual decision 295 (15.6%) 86 (11.3%)
Other 245 (13.0%) 76 (10.0%)
Loss of autonomy 602 (31.3%) 196 (25.8%) 0.006 Healthcare worker (n = 2,558) 22 (1.2%) 17 (2.3%) 0.055
Current smoker (n = 2,002) 296 (20.1%) 36 (6.8%) <0.001 BMI (n = 2,427) 25.79 ± 6.26 26.66 ± 5.54 <0.001
Hypertension 919 (47.8%) 364 (48.0%) 0.981
Chronic cardiac disease 696 (36.2%) 228 (30.0%) 0.003
Diabetes 471 (24.5%) 186 (24.5%) 1 Chronic respiratory disease 482 (25.1%) 114 (15.0%) <0.001
Obesity 322 (16.7%) 126 (16.6%) 0.976 Chronic kidney disease 220 (11.5%) 70 (9.2%) 0.111
Immunosuppression 226 (11.8%) 28 (3.7%) <0.001
Malignancy 203 (10.6%) 31 (4.1%) <0.001 Dementia 132 (6.9%) 60 (7.9%) 0.392 Chronic neurological disorder 90 (4.7%) 34 (4.5%) 0.907
Chronic hematological disease 51 (2.7%) 7 (0.9%) 0.009 Cirrhosis 44 (2.3%) 10 (1.3%) 0.144 Psychosis 39 (2.0%) 11 (1.4%) 0.400 Transplant 22 (1.1%) 6 (0.8%) 0.547 HIV infection 11 (0.6%) 6 (0.8%) 0.590
Vital signs at ED admission
Temperature (°C) (n = 2,627) 37.11 ± 1.07 37.58 ± 1.08 <0.001
Oxygen saturation (n = 2,620) 94.78 ± 4.67 92.62 ± 5.40 <0.001
Oxygen requirement 353 (18.3%) 179 (23.6%) 0.003
Time since symptom onset (n = 2,361) <0.001
<24 hours 613 (36.9%) 105 (15.0%)
<7 days 731 (44.1%) 382 (54.4%)
<15 days 207 (12.5%) 181 (25.8%) ≥15 days 108 (6.5%) 34 (4.8%)
Data are expressed as count (percentage), or mean ± SD.
COVID-19, coronavirus disease 2019; ED, emergency department; BMI, body mass index HIV, human immunodeficiency virus.
Symptoms (n from 2,669 to 2,686)
COVID-19 negative patients (n = 1,926, 71.7%) COVID-19 positive patients (n = 760, 28.3%) P
Fever 916 (47.6%) 536 (70.5%) <0.001 Dyspnea 1,036 (53.8%) 494 (65.0%) <0.001
Cough 759 (39.5%) 420 (55.3%) <0.001 Weakness 748 (38.8%) 399 (52.5%) <0.001
Diarrhea 251 (13.1%) 168 (22.1%) <0.001 Nausea or vomiting 339 (17.6%) 87 (11.4%) <0.001 Myalgia 148 (7.7%) 84 (11.1%) 0.007
Headache 198 (10.3%) 86 (11.3%) 0.503 Confusion 198 (10.3%) 80 (10.5%) 0.926
Abdominal pain 339 (14.8%) 57 (7.5%) <0.001 Anosmia 34 (1.8%) 51 (6.7%) <0.001
Rhinorrhea/congestion 56 (2.9%) 26 (3.4%) 0.570
Sore throat 40 (2.1%) 10 (1.3%) 0.242 Joint pain 37 (1.9%) 11 (1.4%) 0.497
Bacterial infection (n = 2,126) 221 (14.6%) 57 (9.3%) <0.001
Viral infection (n = 814) 34 (6.8%) 8 (2.5%) 0.011
Influenza A 13 (2.9%) 4 (1.3%) <0.224 Influenza B 5 (1.1%) 3 (1.0%) 1 RSV 6 (1.4%) 4 (1.3%) 1 Rhinovirus 7 (5.7%) 0 (0.0%) 0.305 Metapneumovirus 3 (2.3%) 0 (0.0%) 0.748
Adenovirus respiratory 1 (0.8%) 1 (2.3%) 0.985
Positive CT chest (n = 1,686) <0.001
Positive 237 (12.3%) 454 (59.7%) Negative 949 (49.3%) 46 (6.1%) Not done 740 (38.4%) 260 (34.2%)
Table 1. Continued. Data are expressed as count (percentage), or mean ± SD. COVID-19, coronavirus disease 2019; ED, emergency department; CT, computed tomography; RSV, respiratory syncytial virus.
suggested that among COVID-19 suspected patients, factors such as positive COVID-19 status, oxygen requirement, and male gender were at risk for ICU admission and mortality. Mortality also increased with age, malignancy, and bacterial infection.
The characteristics of the COVID-19 positive patients in our study broadly reflect those reported in other studies, especially in terms of symptoms and comorbidities.2,3;17-19 The rate of obesity was low, about two times lower than in the United States of America (US). These trends are consistent with the prevalence of obesity in the general population in France and the US.20 COVID-19 positive patients had a higher median age than patients in China,2 the US,7 and Italy,18 but a similar median age compared to patients in the United Kingdom (UK).19 These differences may be explained by
the different recruitment methods that were used. We did not include ambulatory patients, who are most often younger, but we did include all hospitalized patients (corresponding to older patients who are more vulnerable and frail).
The proportion of COVID-19 positive patients admitted to the ICU was higher compared to previous studies conducted in the US (New York)12,18 and the UK.19 Several factors may explain these differences. First, the availability of ICU beds is different between countries. At the time of this study, the ICUs in our study were not overloaded but still reached maximum capacities despite a 30% increase in the number of beds during the first COVID-19 outbreak. Second, we included secondary ICU admissions in the follow-up, which were more numerous than primary admissions (unlike in the previously mentioned
Table 2. Outcomes of patients according to their COVID-19 status.
Destination from ED
Outcomes
COVID-19 negative patients (n = 1,926) COVID-19 positive patients (n = 760) P
Intensive care units 162 (8.4%) 86 (11.3%) Conventional hospitalization 1,756 (91.2%) 673 (88.6%) 0.036*
Died in ED 8 (0.4%) 1 (0.1%)
Secondary admission from wards to intensive care units (n = 2,461) 44 (2.5%) 99 (14.7%) <0.001
Time from ED admission to secondary admission to ICU (days), median [IQR] (n = 114) 1.72 [0.82 - 3.64] 2.76 [0.96 - 4.53] p=0.312#
All transfers to ICU 206 (10.7%) 185 (24.3%) < 0.001
Invasive mechanical ventilation (n = 2,650) 37 (1.9%) 89 (11.9%) < 0.001 High-flow nasal cannula (n =2,648) 41 (2.2%) 135 (18.1%) < 0.001
Non-invasive ventilation (n = 249) 94 (4.9%) 55 (7.4%) 0.633
Length of hospital stay (days) median [IQR] (n=2,365) 6 [2 - 11] 10 [6 - 15] < 0.001
Decision to withhold or withdraw life-sustaining treatments:
In ED 90 (4.7%) 53 (7.0%) 0.133
During hospitalization 221 (11.5%) 151 (19.9%) < 0.002
Death during hospitalization 149 (7.7%) 139 (18.3%) < 0.001
Death after a decision to withhold or withdraw life-sustaining treatments (n = 288) 105 (70.5%) 96 (69.1%) 0.340
Time from ED admission to death (days) median [IQR] (n = 276) 4.63 [1.70 - 10.84] 8.80 [3.66 - 14.90] 0.127
Outcome after hospital discharge (n = 2,181)
Return to home 1,382 (84.9%) 397 (71.7%) < 0.001
Rehabilitation department 245 (15.1%) 157 (28.3%) < 0.001
Re-hospitalization within 30 days after discharge (n = 2,366) 293 (16.7%) 56 (9.2%) 0.088
P-values from multivariate analyses (adjusted for age, gender, body mass index, smoking status, loss of autonomy, chronic respiratory disease, malignancy, bacterial infection, viral co-infection, and oxygen requirement) unless specified # univariate analysis with Wilcoxon rank-sum test,* univariate analysis with Fisher’s exact test. Data are expressed as count (percentage), unless specified otherwise. ED, emergency department; COVID-19, coronavirus disease 2019; IQR, interquartile range; ICU, intensive care unit.
Figure 2. COVID-19 positive and COVID-19 negative patients’ management.
ED, emergency department; ICU, intensive care unit; COVID-19, coronavirus disease 2019
Table 3. Univariate and multivariate analyses of factors associated with intensive care unit admission (directly from emergency departments or secondarily from ward).
Variable Level OR [95% CI] P-value OR [95% CI] P-value
COVID-19 positive Yes 2.69 [2.16; 3.35] 2.24 [1.57; 3.20] <0.001 Age ≤50 1 <0.001 1 <0.001 51-65 1.62 [1.15; 2.28] 1.36 [0.83; 2.23] 66-80 1.20 [0.87; 1.65] 1.02 [0.64; 1.64] ≥81 0.39 [0.27; 0.56] 0.31 [0.18; 0.56]
Gender Men 2.26 [1.80; 2.83] <0.001 1.84 [1.32; 2.60] <0.001 BMI <20 1 0.002 1 0.245 20-25 1.09 [0.71; 1.66] 0.83 [0.49; 1.42] 25-30 1.72 [1.14; 2.60] 1.27 [0.75; 2.17] >30 1.65 [1.07; 2.55] 1.04 [0.60; 1.81]
Current smoker Yes 1.22 [0.90; 1.66] 0.203 1.25 [0.80; 1.92] 0.324
Loss of autonomy Yes 0.44 [0.34; 0.58] <0.001 0.66 [0.43; 1.02] 0.063
Chronic respiratory disease Yes 1.20 [0.94; 1.54] 0.150 1.01 [0.69; 1.46] 0.950
Immunosuppression Yes 0.70 [0.47; 1.06] 0.081
Malignancy Yes 0.55 [0.22; 1.38] 0.164 0.37 [0.20; 0.65] <0.001 Bacterial infection Yes 1.33 [0.96; 1.83] 0.092 1.54 [0.99; 2.36] 0.055
Viral co-infection Yes 0.66 [0.25; 1.70] 0.361 Oxygen requirement Yes 2.95 [2.34; 3.72] <0.001 4.30 [3.00; 6.17] <0.001
COVID-19, coronavirus disease 2019; BMI, body mass index; OR, odds ratio; CI, confidence interval.
Table 4. Univariate and multivariate analyses of factors associated with death during hospitalization.
Variable Level OR [95% CI] P-value OR [95% CI] P-value
COVID-19 positive Yes 2.67 [2.08; 3.42] <0.001 3.33 [2.02; 5.50] <0.001 Age ≤50 1 <0.001 1 <0.001 51-65 4.68 [1.58; 13.80] 1.77 [0.50; 8.28] 66-80 11.05 [4.02; 30.39] 3.93 [1.32; 16.94] ≥81 22.53 [8.31; 61.09] 6.76 [2.26; 29.25] Gender Men 1.27 [0.99; 1.62] 0.060 1.96 [1.21; 3.24] 0.006 BMI <20 1 0.127 1 0.313 20-25 1.05 [0.66; 1.69] 0.74 [0.38; 1.49] 25-30 0.69 [0.41; 1.14] 0.51 [0.25; 1.08] >30 0.74 [0.43; 1.28] 0.79 [0.38; 1.70]
Current smoker Yes 0.35 [0.20; 0.62] <0.001 0.68 [0.25; 1.60] 0.399
Loss of autonomy Yes 2.71 [2.11; 3.47] <0.001 1.63 [0.98; 2.71] 0.058
Chronic respiratory disease Yes 0.81 [0.60; 1.11] 0.179 0.90 [0.51; 1.53] 0.696
Immunosuppression Yes 1.08 [0.72; 1.63] 0.702
Malignancy Yes 1.46 [1.02; 2.09] 0.043 1.94 [1.03; 3.52] 0.039
Bacterial infection Yes 1.72 [1.22; 2.44] 0.003 2.52 [1.49; 4.17] 0.001
Viral co-infection Yes 0.18 [0.03; 1.36] 0.028
Oxygen requirement Yes 3.44 [2.66; 4.45] <0.001 2.67 [1.66; 4.28] <0.001
COVID-19, coronavirus disease 2019; BMI, body mass index; OR, odds ratio; CI, confidence interval.
studies where they were not always considered). They correspond to patients who worsened secondarily within an average of 1-2 days. This point was also made by Singer et al who emphasized the need to take secondary ICU admissions into account to better estimate ICU capacities. Indeed, they demonstrated that for every 100 persons under investigation who are admitted to the hospital, nine will require immediate ICU admission and another 12 will require ICU or invasive mechanical ventilation within 2-3 days.12 Finally, the use of mechanical ventilation for COVID-19 positive patients was similar to its use in other studies.18,19 whereas the rates of high-flow nasal cannula oxygen therapy and non-invasive ventilation were higher in our study, suggesting that practices differ across countries.22
The mortality rate observed herein was lower compared to the one reported in the UK population,19 but not different from the one reported in the US18,21 or in Italy.17 This could be due to differences in healthcare systems between the UK and Europe and in the proportion of ICU beds to hospital beds, as previously suggested.19 In addition, patient comorbidities and drug exposure (including glucocorticoids) may differ between cohorts.
The decisions to withhold and withdraw life-sustaining treatments during the COVID-19 pandemic have been rarely studied due to the difficulty of collecting data regarding the a priori-decided level of care.19 In the current study, we report a high prevalence of these decisions concerning COVID-19 positive patients. However, there was no difference in the number of these decisions prior to death between COVID-19 positive and negative patients. We believe this can be explained by the fact that the COVID-19 health crisis led healthcare teams to anticipate the potential aggravation of a patient’s condition. Indeed, it has been previously shown that there was little anticipation regarding end‐of‐life decisions in the ED and that the management of such decisions should be improved.23,24 The decision-making process is especially difficult in the context of emergency medicine due to lack of time, absence of anticipation in treating chronic diseases, and restrictions of access to families as a result of the pandemic. Therefore, the healthcare teams faced several challenges with these decisions for which the consequences have not been well assessed.25
Understanding what happened during this first outbreak in the EDs included in this study is crucial to anticipate other health crises. Emergency departments are on the frontline during this type of crisis and must also manage potential COVID-19 patients, which contributes to the healthcare burden and ED crowding. In Australia, despite the low rate of COVID-19 positive cases, an increasing number of ED patients are likely to require isolation because the testing criteria have been broadened.26 The same has been reported in New York EDs where more than two thirds of all the admissions were patients suspected of COVID-19.12
This study has several limitations. First, we included primarily university hospitals, which have a greater ICU
capacity; this certainly influenced the ICU admission rate. Second, the study was conducted only during the first outbreak and over a reduced period. Since then, practices have changed: the test criteria are broader; corticosteroids (mainly dexamethasone) have been introduced systematically for the most critical patients; and there has been an increase in physician expertise. Thirdly, the baseline comparison group could have been made up of patients admitted to the EDs prior to the COVID-19 outbreak in order to estimate the impact of the outbreak on the EDs; nevertheless, comparing patients admitted for COVID-19 suspicion and with a similar severity (probably only the most severe patients actually came to the EDs during the first lockdown) allowed us to limit the discrepancies in terms of baseline characteristics between groups. We probably had some false negatives especially during early phases of testing. Moreover, we did not initially include gastrointestinal symptoms as a presentation given the limited knowledge of COVID-19 at the beginning of the pandemic. Finally, despite the use of a multivariable model, we could not exclude residual confounders.
This first outbreak of COVID-19 helped us to better quantify the need for ICU beds and to underline the importance of flexible organization to quickly adapt conventional and ICU capacities to the incoming flow into EDs of COVID-19 positive patients.
The authors acknowledge the support of the HCL COVID Task Force. We thank Laurent Villeneuve, Sofia Sebaoui, Claire-Angeline Goutard, Marine Alvès, Severin Rambaud, Rima Zaide, Roxane Bai, Lamia Azouzi, Ouazna Tassa, Laurie Herman, Sophie Hommey, Selma Baka, Hicham Kadura, Pauline Drouin and Jeanne Ragot for their help in data collection. We also thank Hélène Boyer (Direction de la Recherche Clinique et de l’Innovation, Hospices Civils de Lyon) for help in manuscript preparation.
Address for Correspondence: Marion Douplat, MD, PhD, Hôpital Lyon Sud, service des Urgences, 189 chemin du Grand Revoyet, 69 495 Pierre Bénite Email : marion.douplat@chu-lyon.fr.
Conflicts of Interest: By the WestJEM article submission agreement, all authors are required to disclose all affiliations, funding sources and financial or management relationships that could be perceived as potential sources of bias. No author has professional or financial relationships with any companies that are relevant to this study. There are no conflicts of interest or sources of funding to declare.
Copyright: © 2022 Douplat et al. This is an open access article distributed in accordance with the terms of the Creative Commons Attribution (CC BY 4.0) License. See: http://creativecommons.org/ licenses/by/4.0/
1. WHO. WHO Director-General’s opening remarks at the media briefing on COVID-19 - 11 March 2020. 2020. Available at: https:// www.who.int/dg/speeches/detail/who-director-general-s-openingremarks-at-the-mediabriefing-on-covid-19---11-march-2020. Accessed March 11, 2020.
2. Huang C, Wang Y, Li X, et al. Clinical features of patients infected with 2019 novel coronavirus in Wuhan, China. Lancet 2020;395(10223):497-506.
3. Chen N, Zhou M, Dong X, et al. Epidemiological and clinical characteristics of 99 cases of 2019 novel coronavirus pneumonia in Wuhan, China: a descriptive study. Lancet 2020;395:507-13.
4. WHO. WHO coronavirus disease 2019 (covid-19) situation reports. 2019. Available at: https://www.who.int/emergencies/diseases/novelcoronavirus-2019/situation-reports. Accessed January 31, 2020.
5. Santé Publique France. InfoCovidFrance Chiffres cles et evolution de la COVID-19 en France et dans le Monde. 2019. Available at : https://www.santepubliquefrance.fr/dossiers/coronavirus-covid-19/ coronavirus-chiffres-cles-et-evolution-de-la-covid-19-en-france-etdans-le-monde. Accessed May 11, 2020.
6. Chung HS, Lee DE, Kim JK, et al. Revised triage and surveillance protocols for temporary emergency department closures in tertiary hospitals as a response to COVID-19 crisis in Daegu Metropolitan City. J Korean Med Sci. 2020 May 18;35(19):e189.
7. Wee LE, Fua TP, Chua YY, et al. Containing COVID-19 in the emergency department: the role of improved case detection and segregation of suspect cases. Acad Emerg Med. 2020;27(5):379-87.
8. Tan RMR, Ong GY, Chong SL, et al. Dynamic adaptation to COVID-19 in a Singapore paediatric emergency department. Emerg Med J. 2020;37(5):252-4.
9. Cao Y, Li Q, Chen J, et al. Hospital emergency management plan during the COVID-19 epidemic. Acad Emerg Med. 2020;27(4):30911.
10. Silvagni E, Cipriani MS, Valenti I. How to organize an emergency department during the COVID-19 pandemic. J Popul Ther Clin Pharmacol. 2020;27(S Pt 1):e11-e13.
11. Gilbert A, Piazza J, Szecel J, et al. Gestion des admissions aux urgences durant la pandémie de COVID-19 au sein du CHU de Liège : Apport d’un centre de tri avancé [Management of emergency department inflows during the COVID-19 outbreak in the Centre Hospitalier Universitaire of Liege: efficiency of an advanced triage center]. Rev Med Liege. 2020;75(S1):11-7.
12. Singer AJ, Morley EJ, Meyers K, et al. Cohort of four thousand four hundred four persons under investigation for COVID-19 in a New York hospital and predictors of ICU care and ventilation. Ann Emerg Med. 2020;76(4):394-404.
13. O’Reilly GM, Mitchell RD, Rajiv P, et al. Epidemiology and clinical features of emergency department patients with suspected COVID-19: initial results from the COVID-19 Emergency Department Quality Improvement Project (COVED-1). Emerg Med Australas
2020;32(4):638-45.
14. Argenziano MG, Bruce SL, Slater CL, et al. Characterization and clinical course of 1000 patients with coronavirus disease 2019 in New York: retrospective case series. BMJ. 2020;369:m1996.
15. Boserup B, McKenney M, Elkbuli A. The impact of the COVID-19 pandemic on emergency department visits and patient safety in the United States. Am J Emerg Med. 2020;38(9):1732-6.
16. von Elm E, Altman DG, Egger M, et al. The Strengthening the Reporting of Observational Studies in Epidemiology (STROBE) statement: guidelines for reporting observational studies. J Clin Epidemiol. 2008;61(4):344-9.
17. Grasselli G, Zangrillo A, Zanella A, et al. Baseline characteristics and outcomes of 1591 patients infected with SARS-CoV-2 admitted to ICUs of the Lombardy region, Italy [published correction appears in JAMA. 2021 May 25;325(20):2120]. JAMA. 2020;323(16):1574-81.
18. Richardson S, Hirsch JS, Narasimhan M, et al. Presenting characteristics, comorbidities, and outcomes among 5700 patients hospitalized with COVID-19 in the New York City area [published correction appears in JAMA. 2020 May 26;323(20):2098]. JAMA 2020;323(20):2052-9.
19. Docherty AB, Harrison EM, Green CA, et al. Features of 20133 UK patients in hospital with COVID-19 using the ISARIC WHO Clinical Characterisation Protocol: prospective observational cohort study. BMJ. 2020;369:m1985.
20. Hales CM, Carroll MD, Fryar CD, et al. Prevalence of obesity among adults and youth: United States, 2015-2016. NCHS Data Brief 2017;(288):1-8.
21. Petrilli CM, Jones SA, Yang J, et al. Factors associated with hospital admission and critical illness among 5279 people with coronavirus disease 2019 in New York City: prospective cohort study. BMJ 2020;369:m1966.
22. Cummings MJ, Baldwin MR, Abrams D, et al. Epidemiology, clinical course, and outcomes of critically ill adults with COVID-19 in New York City: a prospective cohort study. Lancet. 2020;395(10239):176370.
23. Douplat M, Berthiller J, Schott AM, et al. Difficulty of the decisionmaking process in emergency departments for end-of-life patients. J Eval Clin Pract. 2019;25:1–7.
24. Douplat M, Fraticelli L, Claustre C, et al. Management of decision of withholding and withdrawing life-sustaining treatments in French EDs. Scand J Trauma Resusc Emerg Med. 2020;28(1):52.
25. Douplat M, Jacquin L, Frugier S, et al. Difficulty of the ethical decision-making process in withholding and withdrawing lifesustaining treatments in French EDs during COVID pandemic. Scand J Trauma Resusc Emerg Med. 2020;28(1):78.
26. O’Reilly GM, Mitchell RD, Wu J, et al. Epidemiology and clinical features of emergency department patients with suspected COVID-19: Results from the first month of the COVID-19 Emergency Department Quality Improvement Project (COVED-2). Emerg Med Australas. 2020;32(5):814-22.
Cassidy M. Dahn, MD*
Sana Maheshwari, MD†
Danielle Stansky, MD†
Silas Smith, MD‡
David C. Lee, MD§
* † ‡ §
Section Editor: Gary Johnson, MD
NYU Grossman School of Medicine, Ronald O. Perelman Department of Emergency Medicine, Division of Critical Care, New York, New York
NYU Grossman School of Medicine, Ronald O. Perelman Department of Emergency Medicine, New York, New York.
NYU Grossman School of Medicine, Ronald O. Perelman Department of Emergency Medicine, Division of Medical Toxicology, New York, New York
NYU Grossman School of Medicine, Ronald O. Perelman Department of Emergency Medicine, Department of Population Health, New York, New York
Submission history: Submitted April 5, 2022; Revision received July 20, 2022; Accepted August 30, 2022
Electronically published November 1, 2022
Full text available through open access at http://escholarship.org/uc/uciem_westjem
DOI: 10.5811/westjem.2022.8.57035
Introduction: Coronavirus 2019 (COVID-19) illness continues to affect national and global hospital systems, with a particularly high burden to intensive care unit (ICU) beds and resources. It is critical to identify patients who initially do not require ICU resources but subsequently rapidly deteriorate. We investigated patient populations during COVID-19 at times of full or near-full (surge) and non-full (non-surge) hospital capacity to determine the effect on those who may need a higher level of care or deteriorate quickly, defined as requiring a transfer to ICU within 24 hours of admission to a nonICU level of care, and to provide further knowledge on this high-risk group of patients.
Methods: This was a retrospective cohort study of a single health system comprising four emergency departments and three tertiary hospitals in New York, NY, across two different time periods (during surge and non-surge inpatient volume times during the COVID-19 pandemic). We queried the electronic health record for all patients admitted to a non-ICU setting with unexpected ICU transfer (UIT) within 24 hours of admission. We then made a comparison between adult patients with confirmed coronavirus 2019 and without during surge and non-surge time periods.
Results: During the surge period, there was a total of 86 UITs in a one-month period. Of those, 60 were COVID-19 positive patients who had a mortality rate of 63.3%, and 26 were COVID-19 negative with a 30.8 % mortality rate. During the non-surge period, there was a total of 112 UITs; of those, 24 were COVID-19 positive with a 37.5% mortality rate, and 90 were COVID-19 negative with a 11.1% mortality rate.
Conclusion: During the surge, the mortality rate for both COVID-19 positive and COVID-19 negative patients experiencing an unexpected ICU transfer was significantly higher [West J Emerg Med. 2022;23(6)907–912.]
Coronavirus disease 2019 (COVID-19) is a global pandemic that continues to affect the United States. Since its nascence in China’s Wuhan province in late 2019, the
outbreak has evolved with startling rapidity with more than 304 million confirmed cases and an estimated 5.4 million deaths globally.1 In many parts of the US, the dramatic spread of COVID-19 led to waves of patients that overwhelmed
hospitals and healthcare systems. While data continues to accrue regarding risk factors for severity of illness and mortality, management, ventilation strategies, imaging, and diagnosis, much remains unknown.2 Specifically, there is limited literature published to date on COVID-19 patients with regard to unplanned intensive care unit (ICU) transfer (UIT). Literature to date is focused on risk prediction modeling and includes any ICU transfer, but it does not speak to hospital capacity and inpatient volume and its effect on UIT and does not focus on UIT within the first 24 hours.3-7
The risk of UIT is highest in the first 24 hours of admission with an incidence reported between 2-5% across hospital systems.8-9 Previous retrospective studies have found that patients admitted with respiratory conditions, sepsis, myocardial infarction, significant comorbidities, tachypnea, or abnormal lab findings are at greatest risk for UITs.9-10 While there is a lack of general consensus as to which factors are more predictive, UITs have consistently demonstrated an increase in morbidity and mortality in comparison to those patients directly admitted to the ICU from the emergency department (ED).8, 11-12
COVID-19 primarily affects the respiratory system with hypoxia and increased work of breathing and progression to acute respiratory distress syndrome (ARDS). These indicators have been associated with increased UIT and rapid decompensation in prior studies of initial variants.9-10, 13 During COVID-19, it was reported that 5-12% of patients required ICU level of care. Research to date on COVID-19 UITs report that 5-13% of patients required ICU upgrade after admission to the floor with a median time of transfer between 2.45-2.58 days.3-4 Identified predictive variables for COVID-19 ICU transfers include respiratory rate, white blood cell and lymphocyte count, oxygen saturation, and elevated C-reactive protein.4-7 For patients admitted to the hospital the overall mortality is around 4-5%, but for those requiring mechanical ventilation it is reported to be 23%.3 Given the severity of illness associated with COVID-19 and high rates of respiratory failure, hospital capacity and resources have been shown to be near or at capacity in many hospital systems. The effect that hospital capacity and volume may have on UIT in COVID-19 has minimal literature published to date.
This was a retrospective cohort study of a single health system comprising four EDs and three tertiary hospitals in New York, NY, from March 30–April 30, 2020 (at time of high inpatient and ICU census and near-full capacity defined as surge) and October 30, 2020–January 31, 2021 (at time of lower inpatient and ICU census and non–full capacity defined as non-surge) for UITs. Patients were selected for inclusion on the basis of a COVID-19 diagnosis confirmed by polymerase chain reaction testing; age ≥18 years, and admission from the ED to a non-ICU (and non-procedural) level of care, who required an upgrade to an ICU level of care (UIT) within 24
What do we already know about this issue?
Unexpected intensive care unit (ICU) transfer (UIT) demonstrates an increase in morbidity and mortality compared to direct ICU admission. In COVID-19, incidence of UIT is 5-12%.
What was the research question? We sought to determine the effect of hospital volume on patients with respect to UIT during the COVID-19 surge.
What was the major finding of the study?
During higher hospital volume, mortality was 1.7 (P = 0.02) and 2.7 (P = 0.01) times higher in COVID-19 positive and COVID-19 negative UITs, respectively.
How does this improve population health?
The effect of hospital capacity must be accounted for when assessing risk for UIT to optimize care and triage of critically ill patients.
hours of admission. Exclusion criteria were pediatric patients, and patients who were admitted to hospice, directly to the ICU, or to the ICU post-procedure (ie, from the operating room, catheterization suite, interventional radiology, or endoscopy), as well as patients admitted or transferred from outside hospitals directly to the ICU.
The study was approved by the institutional review board of the participating hospitals. Written consent was waived as there was no intervention nor risk to the subjects during the performance of this study.
We abstracted data from the hospital electronic health record (EHR) (Epic Systems Corporation, Verona, WI). Some of the data for this subset of patients was obtained from a shared database and a prior publication in a larger institutional study.14 Demographic characteristics included age, selfidentified gender and race/ethnicity, and language. We obtained comorbidities (hypertension (HTN), hyperlipidemia (HLD), diabetes, coronary artery disease (CAD), congestive heart failure (CHF), asthma, chronic obstructive pulmonary disease (COPD), cancer, cirrhosis, chronic kidney disease, end-stage renal disease (ESRD), immunocompromised status, body mass index (BMI), smoking status), and admission diagnoses. We reviewed ED oxygen requirements as well as outcomes from the patients’ inpatient course (need for intubation/mechanical ventilation, mechanical ventilation
days, time from admission to ICU transfer, time from admission to death, ICU length of stay [LOS], hospital LOS, and mortality).
We performed a descriptive analysis to compare the demographic and clinical characteristics for the four groups of ICU upgrades analyzed in this study (ie, surge COVID-19 positive, surge COVID-19 negative, non-surge COVID-19 positive, and non-surge COVID-19 negative). Continuous variables were expressed as means and/or medians, and categorical variables were expressed as proportions. We analyzed continuous variables using ANOVA or KruskalWallis equality-of-populations rank tests, as appropriate. Categorical variables were analyzed using chi-squared tests. For our primary outcome of mortality among the ICU upgrades, we used chi-squared tests to compare the proportion of patients who died among these subgroups. We specifically compared mortality among the COVID-19 positive ICU upgrades between the surge and non-surge periods and also among the COVID-19 negative ICU upgrades between the surge and non-surge periods. For these outcomes we used a Bonferroni adjusted P-value of 0.025 to account for the two comparisons performed. All statistical analyses were performed in Stata statistical software v16.2 (StataCorp, LLC, College Station, TX)
The ICU upgrades had a median age of 65.5 years. We did not identify any statistically significant differences (P = 0.61) in the median age among the four groups of patients analyzed (ie, surge COVID-19 positive, surge COVID-19 negative, non-surge COVID-19 positive, and non-surge COVID-19 negative). Approximately 66% of ICU upgrades were male and, notably, there was a similar gender distribution among COVID-19 positive and COVID-19 negative ICU upgrades in the surge period, whereas there was a much higher proportion of male patients among COVID-19 positive ICU upgrades in the non-surge period at 88% when compared to 56% of COVID-19 negative ICU upgrades during the same period (P < 0.01). Patients who identified as non-White comprised 47.2% of the ICU upgrades. In the surge periods, the number of non-White patients was higher among COVID-19 positive ICU upgrades (65.0% COVID-19 positive and 34.6% COVID-19 negative), but was similar in the non-surge period (45.8% COVID-19 positive and 43.8% COVID-19 negative) (Table 1)
Of the 12 comorbidities analyzed in our study, on average 61.6% of ICU upgrades had a history of HTN, 44.4% had HLD, 13.6% had asthma, 11.1% had COPD, 17.7% had cancer, 20.7% had CKD, 22.7% had CAD, 17.7% were
immunocompromised, 0.5% had cirrhosis, 15.2% had CHF, and 7.1% had ESRD. When comparing the four groups of patients analyzed, we only found a statistically significant difference in immunocompromised status (P < 0.01). In the surge period, immunocompromised patients accounted for 15.0% of COVID-19 positive ICU upgrades vs 7.7% of COVID-19 negative related ICU upgrades, whereas in the non-surge period, immunocompromised patients accounted for 0.0% of the COVID-19 positive ICU upgrades vs 27.3% of the COVID-19 negative-related ICU upgrades. The median BMI of ICU upgrades was 27.9, and while we did not find a statistically significant difference among the median BMI among the four groups analyzed (P = 0.10), we did note that there was a statistically significant higher BMI among COVID-19 positive ICU upgrades at 29.0 compared to COVID-19 negative ICU upgrades at 27.0 when the surge and non-surge patients were combined (Table 1).
For all patients with UIT within 24 hours during surge (COVID-19 positive and negative) and non-surge (COVID-19 positive and negative) the average time from admission to transfer was 13.0, 10.3, 12.8, and 11.5 hours, respectively. A majority of the patients required mechanical ventilation (76.7%) in the surge COVID-19 positive population, followed by 50.0% in the non-surge COVID-19 positive population and only 19.2% and 15.9% in the surge and non-surge COVID-19 negative populations, respectively. COVID-19 positive patients in surge and non-surge times had overall longer mechanical ventilation (MV) days, ICU and hospital LOS (Table 2)
During the surge time, there were 86 UITs over the course of a month. Sixty were COVID-19 positive patients who had a mortality rate of 63.3%; 27 were COVID-19 negative with a 30.8% mortality rate. In the subsequent non-surge period, 112 UITs occurred (37 per month). Twenty-four were COVID positive, with a 37.5% mortality rate; 90 were COVID negative, with an 11.1% mortality rate. During surge, mortality among COVID-19 positive patients was 1.7 times higher (P = 0.02) and 2.7 times higher among COVID-19 negative patients (P = 0.01) when compared to the non-surge period (Table 2).
COVID-19 mortality has been devastating both nationally and internationally at much higher rates than seen in prior viral-related respiratory diseases. As the COVID-19 pandemic continues to press hard and affect so many communities, it is vital to identify risk factors for patients who will deteriorate or expire quickly, so that recognition, interventions, and appropriate levels of care can be accomplished. The effect of hospital capacity and volume must be accounted for as well.
Table 1. Study population characteristics.
Data
Surge Non-surge
COVID-19 positive (n = 60)
COVID-19 negative (n = 26) COVID-19 positive (n = 24) COVID-19 negative (n = 88)
Age (Median) 64.5 68.5 62.5 66.5
Gender (Male, n (%)) 42 (70.0%) 18 (69.2%) 21 (87.5%) 49 (55.7%)
Race / Ethnicity (n (%))
White 21 (35.0%) 17 (65.4%) 13 (54.2%) 50 (56.8%)
Black 7 (11.7%) 2 (7.7%) 1 (4.2%) 15 (17.0%)
Asian 4 (6.7%) 4 (15.4%) 4 (16.7%) 6 (6.8%)
Other 28 (46.7%) 3 (11.5%) 6 (22.2%) 17 (19.3%)
Not of Spanish/Hispanic origin 41 (68.3%) 24 (92.3%) 20 (83.3%) 72 (80.0%)
English-speaking (n (%)) 35 (58.3%) 21 (80.1%) 14 (58.3%) 74 (84.1%)
Comorbidities (n (%))
Hypertension 36 (69.0%) 18 (69.2%) 18 (75.0%) 50 (56.8%)
Hyperlipidemia 24 (40.0%) 15 (57.7%) 13 (54.2%) 36 (40.9%)
Diabetes 28 (46.7%) 6 (23.1%) 8 (33.3%) 30 (34.1%)
Coronary artery disease 11 (18.3%) 5 (19.2%) 5 (20.8%) 24 (27.2%)
Congestive heart failure 5 (8.3%) 3 (11.5%) 2 (8.3%) 20 (22.7%)
Asthma 7 (11.7%) 4 (15.3%) 1 (4.2%) 15 (17.0%)
Chronic obstructive pulmonary disease 4 (6.7%) 4 (15.3%) 1 (4.2%) 13 (14.8%)
Malignancy 5 (8.3%) 10 (38.5%) 4 (16.7%) 16 (18.2%)
Cirrhosis 0 (0%) 0 (0%) 0 (0%) 1 (1.1%)
Chronic kidney disease 10 (16.7%) 6 (23.1%) 3 (12.5%) 22 (27.2%)
End-stage renal disease on dialysis 5 (8.3%) 0 (0%) 0 (0%) 9 (10.2%)
Immunocompromised 9 (15.0%) 2 (7.7%) 0 (0%) 25 (29.4%)
Body mass index (average) 29.9 28.2 30.1 27.8 Smoking history (n (%)) 9 (15.0%) 17 (65.4%) 12 (50.0%) 45 (51.1%) COVID-19, coronavirus disease 2019.
In the setting of COVID-19, a lean, resource-strained, hospital system requires utmost efficiency as well as a quality-conscious healthcare practice that prevents unnecessary harms. It is important to follow guidelines and appropriately use the already limited ICU bed capacity. Hospitals can look to national ICU admission guidelines (eg, the Society of Critical Care Medicine and the American Association for the Surgery of Trauma guidelines, as well as disease-specific guidelines such as those for pneumonia from the American Thoracic Society). However, these guidelines are not always specific enough and do not consider different levels of organizational capabilities or patient-associated factors that can vary among hospitals.15-17
The purpose of this study was to examine UITs during the different times of inpatient and ICU capacity and assess the effect on a high-risk population of patients who were transferred to a higher level of care within 24 hours of admission. The correlations in and of themselves may also be of potential benefit to clinicians in terms of the assessment of
COVID-19 patients who may be at risk for decompensation and may benefit from early recognition, potential intervention, or higher level of care. It will also be useful to evaluate whether patients admitted with COVID-19 who experience UIT within 24 hours similarly have increased morbidity and mortality as seen with other cohorts of patients with early UIT. Not surprisingly, the vast majority (85%) of patients who died within 24 hours had high oxygenation demands while in the ED (defined as more than nasal cannula supplementation). Patients with respiratory disease have previously been identified as a higher risk pathology correlated with unexpected rapid deterioration identified by expiration or ICU transfer within a short time after admission. In the case of COVID-19, the sickest patients have been affected by the virus primarily by respiratory failure. Better differentiation of patients who may do well in a non-ICU level of care vs early ARDS at higher risk of decompensation would be very helpful to be able to appropriate triage the level of care and resource utilization.
Table 2. Description of therapies administered and patient outcomes. Surge Non-surge
Data
Maximum Oxygen Therapy in ED (n ([%])
COVID-19 positive (n = 60) COVID-19 negative (n = 26) COVID-19 positive (n = 24)
COVID-19 negative (n = 88)
None 5 (8.3%) 10 (38.5%) 1 (4.2%) 49 (55.7%)
Nasal cannula 10 (16.7%) 9 (34.6%) 11 (45.8%) 25 (28.4%)
Facemask 21 (35.0%) 1 (3.9%) 0 (0%) 2 (2.3%)
High-flow nasal cannula 10 (16.7%) 1 (3.9%) 11 (45.8%) 4 (4.6%)
Non-invasive ventilation 5 (8.3%) 2 (7.7%) 1 (4.2%) 6 (6.8%)
Invasive mechanical ventilation 9 (15.0%) 3 (11.5%) 0 (0%) 2 (2.3%)
Time from admit to ICU transfer (average, hours) 13.0 10.3 12.8 11.5
Time from admit to death (average, days) 10.8 8.3 19.0 6.6
Oxygen therapy inpatient (n [%])
High-flow nasal cannula 32 (53.3%) 8 (30.8%) 21 (87.5%) 10 (11.4%)
Non-invasive ventilation 16 (26.7%) 7 (26.9%) 13 (54.2%) 13 (14.8%)
Invasive mechanical ventilation 46 (76.7%) 5 (19.2%) 12 (50.0%) 14 (15.9%)
Total MV days (average, days) 13.6 5.4 8.1 5.2
Total ICU LOS (average, days) 11.9 4.7 8.8 3.7
Total hospital LOS (average, days) 16.6 7.7 14.5 8.2 Mortality (n [%]) 38 (63.3%) 8 (30.8%) 9 (37.5%) 10 (11.1%)
The rates of COVID-19 positive UITs remain higher in both surge and non-surge periods compared to COVID-19 negative UIT patients; however, the difference between the two cohorts is less during the non-surge period. The higher mortality rates during the surge time can be multifactorial, including strained resource utilization and less knowledge and treatment effectiveness in the early stages of the disease process or the possibility of different lethality of different strains at different periods of disease. However, given the increased mortality of COVID-19 positive and COVID-19 negative patients during surge, it seems resource utilization and capacity have a larger impact than different strains or treatment modalities might, but further research is necessary to investigate.
The importance of trying to identify patients at risk for decompensation is again demonstrated to be of importance in this retrospective observation cohort. The patients described above illustrate a high rate of MV, longer LOS, and very high mortality rate among those who experienced ICU transfer within 24 hours. This is consistent with prior research in other disease pathologies that patient outcomes are poorly affected by unexpected deterioration after admission.
Given the research subject as it relates to time, all data was retrospective with some inherent limitations. One
example is that there was no available matched population without UIT for comparison. Another limitation of our study is that our comparison groups were all during COVID-19, and practice patterns may have changed compared to practice prior to COVID-19. In addition, some of the COVID-19 negative patients may have been false negatives, which would have reduced the differences between the two groups. Furthermore, in making correlations there is no method to account for the different strains of COVID-19 at different time periods and their associated morbidity and mortality.
COVID-19 has a higher rate of unexpected ICU transfer and higher mortality, which is anticipated and consistent with prior literature based on the disease progression in relation to respiratory failure. High inpatient volume times portends a higher risk of mortality for patients with unexpected ICU transfers within 24 hours of admission to a non-ICU level of care regardless of illness secondary to COVID-19 or otherwise.
The authors would like to recognize Jordan Schwartz, MD, for contributing to the data acquisition.
Address for Correspondence: Cassidy M. Dahn, MD, NYU Grossman School of Medicine, Department of Emergency Medicine, 545 1st Avenue , Suite 6G New York, NY 10016. Email: Cassidy.Dahn@nyulangone.org.
Conflicts of Interest: By the WestJEM article submission agreement, all authors are required to disclose all affiliations, funding sources and financial or management relationships that could be perceived as potential sources of bias. No author has professional or financial relationships with any companies that are relevant to this study. There are no conflicts of interest or sources of funding to declare.
Copyright: © 2022 Dahn et al. This is an open access article distributed in accordance with the terms of the Creative Commons Attribution (CC BY 4.0) License. See: http://creativecommons.org/ licenses/by/4.0/
a French prospective cohort study of hospitalized COVID-19 patients. PLOS One. 2020;15(10):e0240711.
7. Barnett WR, Radhakrishnan M, Macko J, et al. Initial MEWS score to predict ICU admission or transfer of hospitalized patients with COVID-19: a retrospective study. J Infect. 2021;82(2):282-327.
8. Liu V, Kipnis P, Rizk NW, et al. Adverse outcomes associated with delayed intensive care unit transfers in an integrated healthcare system. J Hosp Med. 2012;7(3):224-30.
9. Delgado MK, Liu V, Pines JM, et al. Risk factors for un-planned transfer to intensive care within 24 hours of admission from the emergency department in an integrated healthcare system. J Hosp Med. 2013;8:13–9.
10. Farley H, Zubrow MT, Gies J, et al. Emergency department tachypnea predicts transfer to a higher level of care in the first 24 hours after ED admission. Acad Emerg Med. 2010;17(7):718-22.
1. World Health Organization. Coronavirus disease 2019 (COVID-19) situation report–177. 2020. Available at: https://www.who.int/docs/ default-source/coronaviruse/situation-reports/20200715-covid-19sitrep-177.pdf. Accessed April 5, 2022.
2. Chen T, Wu D, Chen H, et al. Clinical characteristics of 113 deceased patients with coronavirus disease 2019: retrospective study. BMJ 2020;368:m1091.
3. Singer JA, Morley EJ, Meyers K, et al. Cohort of four thousand four hundred four persons under investigation for COVID-19 in a New York hospital and predictors of ICU care and ventilation. Acad Emerg Med. 2020;76(4):394-404.
4. Cheng F-Y, Joshi H, Tandon P, et al. Using machine learning to predict ICU transfer in hospitalized COVID-19 patients. J Clin Med 2020;9(6):1668.
5. Zeng Z, Ma Y, Zeng, et al. Simple nomogram based on initial laboratory data for predicting the probability of ICU transfer of COVID-19 patients: multicenter retrospective study. J Med Virol 2021;93(1):434-40.
6. Allenbach Y, Saadoun D, Maalouf G, et al. Development of a multivariate prediction model of intensive care unit transfer or death:
11. Parkhe M, Myles PS, Leach DS, et al. Outcome of emergency department patients with delayed admission to an intensive care unit. Emerg Med. 2002;14(1):50-7.
12. Young MP, Gooder VJ, McBride K, et al. Inpatient transfers to the intensive care unit: Delays are associated with increased mortality and morbidity. J Gen Intern Med. 2003;18(2):77-83.
13. Caterino JM, Jalbuena T, Bogucki B. Predictors of acute decompensation after admission in ED patients with sepsis. Am J Emerg Med. 2010;28:631-6.
14. Petrilli CM, Jones SA, Yang J, et al. Factors associated with hospital admission and critical illness among 5279 people with coronavirus disease 2019 in New York City: prospective cohort study. BMJ 2020;369:m1966.
15. Guidelines for intensive care unit admission, discharge, and triage. Task Force of the American College of Critical Care Medicine, Society of Critical Care Medicine. Crit Care Med. 1999;27(3):633-8.
16. Nates JL, Nunnally M, Kleinpell R, et al. ICU admission, discharge, and triage guidelines: a framework to enhance clinical operations, development of institutional policies, and further research. Crit Care Med. 2016;44(8):1553-602.
17. Phua J, See KC, Chan YH, et al. Validation and clinical implications of the IDSA/ATS minor criteria for severe community-acquired pneumonia. Thorax. 2009;64:598-603.
Désirée Abgottspon, MD*
Katharina Putora, MD*
Janis Kinkel, MD*
Kinga Süveg, MD†
Bernhard Widmann, MD‡
René Hornung, MD*
Bruno Minotti, MD§¶
Section Editor: Ryan C. Gibbons, MD
* † ‡ § ¶
Cantonal Hospital of St. Gallen, Department of Obstetrics and Gynecology, St. Gallen, Switzerland
Cantonal Hospital of St. Gallen, Division of Radiology and Nuclear Medicine, St. Gallen, Switzerland
Cantonal Hospital of St. Gallen, Department of General, Visceral, Endocrine and Transplantation Surgery, St. Gallen, Switzerland
Cantonal Hospital of St. Gallen, Department of Emergency Medicine, St. Gallen, Switzerland
University Hospital Basel, Department of Emergency Medicine, Basel, Switzerland
Submission history: Submitted March 3, 2022; Revision received June 2, 2022; Accepted August 17, 2022
Electronically published October 23, 2022
Full text available through open access at http://escholarship.org/uc/uciem_westjem
DOI: 10.5811/westjem.2022.8.56638.
Introduction: Acute appendicitis is the most common non-obstetrical surgical emergency in pregnancy. Ultrasound is the imaging tool of choice, but its use is complicated due to anatomical changes during pregnancy and depends on the clinician’s expertise. In this study, our aim was to investigate the diagnostic accuracy of point-of-care ultrasound (POCUS) in suspected appendicitis in pregnant women.
Methods: We conducted a retrospective analysis of all pregnant women undergoing POCUS for suspected appendicitis between June 2010–June 2020 in a tertiary emergency department. The primary outcome was to establish sensitivity, specificity, and likelihood ratios of POCUS in diagnosing acute appendicitis, overall and for each trimester. We used histology of the appendix as the reference standard in case of surgery. If appendectomy was not performed, the clinical course until childbirth was used to rule out appendicitis. If the patients underwent magnetic resonance imaging (MRI), we compared readings to POCUS.
Results: A total of 61 women were included in the study, of whom 34 (55.7%) underwent appendectomy and in 30 (49.2%) an acute appendicitis was histopathologically confirmed. Sensitivity of POCUS was 66.7% (confidence interval [CI] 95% 47.1-82.7), specificity 96.8% (CI 95% 83.3-99.9), and positive likelihood ratio 20.7. Performance of POCUS was comparable in all trimesters, with highest sensitivity in the first trimester (72.7%). The MRI reading showed a sensitivity of 84.6% and a specificity of 100%. In the four negative appendectomies a MRI was not performed.
Conclusion: Point-of-care ultrasound showed a high specificity and positive likelihood ratio in diagnosing acute appendicitis in pregnant women in all trimesters with suspected appendicitis. In negative (or inconclusive) cases further imaging as MRI could be helpful to avoid negative appendectomy. [West J Emerg Med. 2022;23(6)913–918.]
Acute appendicitis is the most frequent non-obstetrical surgical emergency in pregnancy with a similar incidence as
in the non-pregnant population (10/100,000).1 Misdiagnosis of an acute appendicitis in pregnancy may lead to adverse outcomes for both mother and child. Hence, a rapid diagnosis
is of utmost importance.2 The incidence of complicated appendicitis is higher during pregnancy than in nonpregnant women and increases with gestational age. Severe complications may include early delivery, miscarriage, or stillbirth.2 Unlike in non-pregnant women, the clinical presentation during pregnancy is often non-specific, and there is a wide range of differential diagnosis, such as other gastrointestinal, genitourinary, or gynecological diseases.1,3 Ultrasound is most commonly used as the first imaging modality in the emergency setting. However, quality of sonographic imaging of the appendix is limited due to its shifting during pregnancy because of the growing gravid uterus, as well as by the clinician’s expertise.1 Literature is sparse regarding the diagnostic performance of point-ofcare ultrasound (POCUS) for acute appendicitis in pregnant women.4,5 Our aim in this study was to determine performance criteria of POCUS for diagnosing acute appendicitis in pregnant women with clinically suspected appendicitis in the emergency department (ED).
This retrospective data analysis was conducted in a tertiary ED based on charts from patients who were admitted between June 2010–2020. The local ethics committee required written informed consent, as pregnancy is considered sensitive data (EKOS 20/116). We reported data according to the STARD 2015 (standards for reporting diagnostic accuracy studies) checklist.6
We screened the electronic health records of all pregnant women >16 years seen in our hospital within the study time for eligibility. Patients were included if they had received a POCUS examination for suspected appendicitis. Suspicion of appendicitis was clinically determined by the treating physician in the ED. All POCUS examinations were performed or supervised by attending emergency physicians (EP) trained in abdominal US, certified by the Swiss National Society of Ultrasound (SGUM).7 This certification includes three courses (basic, intermediate, and advanced) totaling 48 hours, as well as a final theoretical and practical exam. Prior to this, 500 abdominal US exams must be completed in a training program, 300 of which are under direct supervision. Abdominal scans include evaluation of the bowel and, therefore, the appendix.8 Exclusion criteria were lack of written informed consent or a missing written ultrasound report.
Our primary goal was to determine performance criteria of POCUS in diagnosing acute appendicitis in pregnant women (overall as well as for each trimester separately). The POCUS criteria for diagnosing acute appendicitis according to the SGUM are an appendix of >6 millimeters in diameter, absence of peristalsis, localized probe pressure pain, or an increased echogenicity of adjacent mesenteric fat.9,10 Absence of compressibility is also a criterion, as is the presence of an appendicolith, whereas hypervascularity in color Doppler is rarely applied.9 A case was counted as positive if one criterion was met, according to the clinician’s report. The attending
What do we already know about this issue?
Acute appendicitis is the most common nonobstetrical surgical emergency in pregnancy. Ultrasound is the imaging tool of choice, but its use is difficult during pregnancy.
What was the research question? What is the diagnostic accuracy of point-of-care ultrasound (POCUS) in suspected appendicitis in pregnant women?
What was the major finding of the study?
Sensitivity of POCUS was 66.7% (95% CI 47.182.7), specificity 96.8% (CI 95% 83.3-99.9), and positive likelihood ratio 20.7, in all trimesters with suspected appendicitis.
How does this improve population health?
Quick bedside diagnosis of acute appendicitis in the ED leads to quick treatment, avoiding possibly serious fetal and maternal complications.
visceral surgeon in charge was involved in each suspected case. All sonographic-determined appendicitis (positive) cases either underwent surgery, magnetic resonance imaging (MRI), or clinical follow-up according to the surgeon’s choice. If surgery was performed, the histopathological finding served as the control to determine appendicitis (reference standard in case of surgery). If the patient did not undergo surgery, an alternative diagnosis was given, and the uneventful clinical course until childbirth was used as the control to rule out appendicitis (reference standard in case of no surgery).
We defined negative sonographic cases as either no signs of acute appendicitis (ie. normal appendix), or appendix not seen. Inconclusive cases (ie, appendix not visible) were not defined as a separate group due to the lack of a clear definition on a retrospective basis. Negative sonographic cases underwent MRI, surgery, or clinical follow-up (until childbirth) per the surgeon’s choice, appendicitis being confirmed or ruled out by histopathology or uneventful pregnancy as in positive sonographic cases. The same pathway was used for re-consultation, if any. If MRI was performed, we calculated diagnostic performance using the same reference standards as in US. The MRI was initially read or supervised by the attending radiologist on duty. Additionally, all MRI underwent a second look at the time of this study by a not-blinded senior radiologist (ie, knowing the first reading and the final diagnosis). Finally, we collected the data of all pregnant women undergoing appendectomy in the study period in our center to screen for women without US before surgery.
We calculated sensitivity, specificity, positive predictive value (PPV) and negative predictive value (NPV) as well as positive and negative likelihood ratio (LR) including 95% confidence intervals (CI) for ultrasound. Sensitivity and specificity were calculated for MRI as well. We presented continuous data as mean values ± SD or as median values with interquartile ranges, as appropriate. Categorical data were presented in percentages. We used SPSS version 25 software package (IBM Corporation, Armonk, NY) for statistical calculations.
A total of 120 patients underwent US examination for suspected appendicitis, of whom 61 (50.8%) were included in the study. The inclusion chart and the diagnostic pathway for all patients are illustrated in Figure 1. Prevalence of histologically confirmed appendicitis was 49% (n = 30). The median age at the time of US was 31 years (range 21-40), gestational age was 17 weeks of gestation (WOG), and 13 WOG for histologically diagnosed appendicitis, respectively. Median pain duration was one day (range 1-2; Table 1).
On POCUS examination 20 cases were positive for acute appendicitis (ie, at least one of the above- described criteria was met), and 41 cases were negative. Of the 41 negative cases, the normal appendix could be visualized in eight cases and could not be visualized in 32 cases. None of the visualized normal appendixes resulted in a false negative examination. Sensitivity and specificity of US in diagnosing appendicitis was 66.7% (CI 95% 47.1-82.7) and 96.8% (CI 95% 83.3-99.9%), respectively. Sensitivity and specificity were comparable in all three trimesters, with best results in the second trimester (Table 2). There was no re-consultation; however, two patients were admitted for follow-up. One patient had a repeat ultrasound, and the other an MRI on the next day after admission. Both exams were suggestive for appendicitis, so that both patients underwent appendectomy. Appendicitis was confirmed histologically.
The first MRI reading revealed 11 acute appendicitis of 15 MRIs, yielding a sensitivity of 84.6% and a specificity of 100%. The second, not blinded, retrospective reading diagnosed two additional cases of appendicitis of the 15 MRIs, meaning that two MRI readings were initially false negatives. Hence, second reading increased the sensitivity to 100%.
Figure 1. Patients’ inclusion flow chart and diagnostic STARD pathway. *Due to clinical deterioration both patients had an additional imaging study (one ultrasound, one magnetic resonance imaging) one day later, both with positive results. These two patients underwent surgery with histologically confirmed acute appendicitis. STARD, Standards for Reporting Diagnostic Accuracy; MRI, magnetic resonance imaging.
Table 1. Patients` characteristics.
Subject Median (range)*, N (%)
Age (years) 31 (24-40)*
Gestational age (weeks) at time of US 17 (4-39)* Pain duration time (days) at time of US 1 (1-2)*
MRI examination 15 (24.5)
Prevalence of acute appendicitis overall 30 (49.1)
1st trimester 9 (30.0)
2nd trimester 15 (50.0)
3rd trimester 6 (20.0)
Gestational age (weeks) at time of appendicitis 13 (5-38)*
US, ultrasound; MRI, magnetic resonance imaging.
In the study period, every pregnant woman with suspected appendicitis had an US examination before appendectomy. Alternative diagnosis to appendicitis were “nonspecific abdominal pain” (n = 19), hydronephrosis (n = 7), enteritis (n = 4), and pyelonephritis (n = 1) (Figure 1). Additional informations about surgery, course of the pregnancy, and delivery (newborn data included) are presented as supplemental file.
This study showed a moderate sensitivity and an excellent specificity and positive LR of POCUS in diagnosing acute appendicitis among pregnant women in all trimesters of pregnancy. The median gestational age at time of appendicitis was 13 WOG, although most of the women were in the second trimester at time of admission. Our data is comparable to the literature, as multiple studies showed that acute appendicitis affects mostly the second trimester.11-15
Only a few studies analyzed the performance of US in pregnant women with suspected appendicitis. Sensitivity
Table 2. Performance criteria of ultrasound.
ranged from 50-100% and specificity from 95-100%. All these studies included a smaller number of patients than this study did, and likewise only a few of the patients included in published studies had a confirmed acute appendicitis. Three of those studies also included women who were primarily in the first and second trimester (with only a few in the third trimester).3,16-18 Studies with slightly larger cohorts than the present study exist; however, they only analyzed women who underwent appendectomy.4,5 Therefore, information about prevalence of acute appendicitis is missing, which results in incorrect calculation of predictive values, and especially affects specificity. A recent systematic review and metaanalysis showed low diagnostic accuracy for acute appendicitis in pregnant women, but most of the included studies were retrospective, with small sample sizes, unclear inclusion criteria, and with patients who had undergone surgery.19
Ultrasound has multiple advantages as an imaging tool in pregnancy compared to other tools such as MRI or computed tomography (CT). Sonography is easily available in the EDs of most developed countries,and can be performed with low costs and lack of ionizing radiation. However, a clinician experienced in sonography has to be at the patient’s side, unlike MRI or CT that allow remote reading and diagnosing. Visualization of the appendix due to the pregnant uterus is a limiting factor, which especially limits the use of US in the third trimester. Non-visualization rate ranges from 7-97%.3,16,20 This may be explained as follows: the level of expertise may vary from clinician to clinician between and within the various studies. In addition, because some studies with low numbers of patients, most of whom were examined in their first or second trimester (where US is known to be more accurate than in the third trimester3), the overall sensitivity may have been overestimated. By contrast, in our study the accuracy of US was comparable in all trimesters. Interestingly, sensitivity and specificity were even better in the third as compared to the first trimester, which contradicts the findings of the aforementioned studies. The reason for this remains unclear. It is important to emphasize that our data, unlike that of other researchers, suggests that POCUS can be used to diagnose acute appendicitis in the last trimester if performed by well-
Trimester % (CI 95%) Sensitivity % (CI 95%) Specificity PPV % (CI 95%) NPV % (CI 95%) LR+ n (CI 95%) LRn (CI 95%) All trimesters N = 61 66.7 (47.1-82.7) 96.8 (83.3-99.9) 95.2 (74.1-99.3) 75.0 (64.3-83.3) 20.7 (3-144.5) 0.3 (0.2-0.6)
1st trimester n = 16 (26%) 62.5 (24.5-91.5) 100 (63.1-100) 100 72.7 (52.2-86.7) n/a 0.4 (0.2-0.9)
2nd trimester n = 34 (56%) 68.8 (41.3-89.0) 94.44 (72.7-99.9) 91.67 (61.4-98.7) 77.3 (62.0-87.6) 12.37 (1.8-85.5) 0.3 (0.2-0.7)
3rd trimester n = 11 (18%) 66.7 (22.3-95.7) 100 (47.8-100) 100 71.4 (44.6-88.6) n/a 0.3 (0.1-1.0)
CI, confidence interval; PPV, positive predictive value; NPV, negative predictive value; LR, likelihood ratio; n/a, not available.
trained emergency physicians.
Magnetic resonance imaging is a valuable tool for diagnosing acute appendicitis in pregnant women due to its lack of ionizing radiation when compared to CT, and with better visualization of the appendix (approaching 100%) when compared to sonography.21 Limitations of MRI are higher cost, longer examination time, and less availability compared to CT or sonography.22 We calculated the accuracy of MRI examination with a high sensitivity of 84.6% and a specificity of 100%. These findings are comparable to those of other studies.23 In five (33.3%) cases, US was negative for acute appendicitis. In all these cases the appendix itself was not visible; neither were there any indirect signs of acute appendicitis. However, MRI examination of these patients showed signs of an inflamed appendix that were confirmed by histology following surgery. Therefore, we conclude that the use of MRI may be of additional value in pregnant women who have clinical signs of appendicitis but negative US findings.
Two MRI examinations diagnosed no acute appendicitis, although the patients suffered from typical symptoms. Retrospective re-analysis of these two MRI examinations revealed signs of inflammation of the appendix. Due to clinical deterioration both women had repeat imaging studies one day later. One patient underwent US, the other a MRI. Both additional imaging studies revealed an acute appendicitis. Both patients underwent surgery, and in both cases a perforated appendicitis was successfully removed. It remains unclear why the first reading of the MRI images missed the diagnoses and, therefore, postponed adequate treatment with subsequent prolonged suffering. Hence, careful evaluation of MRI and double reading by experienced radiologists are crucial as perforation of the appendix might potentially have been avoided in these patients if there had been initial correct readings.
There are several limitations to this study. It has a retrospective design instead of a prospective randomization. However, we included patients undergoing US in suspected appendicitis, and it was not limited to patients who underwent surgery. Patient selection was clinically determined by the treating emergency physician in charge. Nevertheless, at least for patients who underwent surgery, we included consecutive patients in the study period (no patient had an appendectomy without prior US). Although the diagnostic evaluation was driven by the attending surgeon in charge, every patient had a follow-up until childbirth, so that misdiagnosis of appendicitis would be negligible. The rather small sample size may have influenced the results as well as the high exclusion rate (due to lacking written consent), which could have generated possible selection bias. Although each emergency physician was certified and trained for abdominal US, individual differences
in experience may have existed. Further prospective studies with a larger cohort are needed to confirm our results, because of the still relatively large confidence intervals.
US showed a high specificity in diagnosing acute appendicitis in pregnant women presenting with suspected appendicitis. This suggests that patients with positive US findings could directly undergo surgery without any further imaging workup. In negative cases, MRI examination might be helpful to avoid negative appendectomy.
Address for Correspondence: Bruno Minotti, University Hospital Basel, Petersgraben 2, 4051 Basel, Switzerland, Email: bruno. minotti@usb.ch.
Conflicts of Interest: By the WestJEM article submission agreement, all authors are required to disclose all affiliations, funding sources and financial or management relationships that could be perceived as potential sources of bias. No author has professional or financial relationships with any companies that are relevant to this study. There are no conflicts of interest or sources of funding to declare.
Copyright: © 2022 Abgottspon et al. This is an open access article distributed in accordance with the terms of the Creative Commons Attribution (CC BY 4.0) License. See: http://creativecommons.org/ licenses/by/4.0/
1. Franca Neto AH, Amorim MM, Nóbrega BM. Acute appendicitis in pregnancy: literature review. Rev Assoc Med Bras. 2015;61(2):170-7.
2. Aggenbach L, Zeeman GG, Cantineau AE, et al. Impact of appendicitis during pregnancy: no delay in accurate diagnosis and treatment. Int J Surg. 2015;15:84-9.
3. Lim HK, Bae SH, Seo GS. Diagnosis of acute appendicitis in pregnant women: value of sonography. Am J Roentgenol 1992;159(3):539-42.
4. Segev L, Segev Y, Rayman S, et al. The diagnostic performance of ultrasound for acute appendicitis in pregnant and young nonpregnant women: a case-control study. Int J Surg. 2016;34:81-85.
5. Baruch Y, Canetti M, Blecher Y, et al. The diagnostic accuracy of ultrasound in the diagnosis of acute appendicitis in pregnancy. J Matern Fetal Neonatal Med. 2019;1-6.
6. Cohen JF, Korevaar DA, Altman DG, et al. STARD 2015 guidelines for reporting diagnostic accuracy studies: explanation and elaboration. BMJ Open 2016;6(11):e012799.
7. SGUM. Die Schweizerische Gesellschaft für Ultraschall in der Medizin (SGUM). Available at: https://sgum-ssum.ch/. Accessed May 31, 2022.
8. SIWF. Sonographie (SGUM). 2009. Available at: https://www.siwf.ch/ files/pdf19/sonographie_d.pdf. Accessed May 31, 2022.
9. Mostbeck G, Adam EJ, Nielsen MB, et al. How to diagnose acute appendicitis: ultrasound first. Insights Imaging. 2016;7(2):255-63.
10. Karul M, Berliner C, Keller S, et al. Imaging of appendicitis in adults. Rofo. 2014;186(6):551-8.
11. Hée P, Viktrup L. The diagnosis of appendicitis during pregnancy and maternal and fetal outcome after appendectomy. Int J Gynaecol Obstet. 1999;65(2):129-35.
12. Tracey M, Fletcher HS. Appendicitis in pregnancy. Am Surg Jun 2000;66(6):555-9.
13. Al-Mulhim AA. Acute appendicitis in pregnancy. A review of 52 cases. Int Surg. 1996;81(3):295-7.
14. Andersen B, Nielsen TF. Appendicitis in pregnancy: diagnosis, management and complications. Acta Obstet Gynecol Scand 1999;78(9):758-62.
15. Ghali MAE, Kaabia O, Mefteh ZB, et al. Acute appendicitis complicating pregnancy: a 33 case series, diagnosis and management, features, maternal and neonatal outcomes. Pan Afr Med J. 2018;30:212.
16. Israel GM, Malguria N, McCarthy S, et al. MRI vs. ultrasound for suspected appendicitis during pregnancy. J Magn Reson Imaging 2008;28(2):428-33.
17. Barloon TJ, Brown BP, Abu-Yousef MM, et al. Sonography of acute appendicitis in pregnancy. Abdom Imaging. 1995;20(2):149-51.
18. Poletti PA, Botsikas D, Becker M, et al. Suspicion of appendicitis in pregnant women: emergency evaluation by sonography and lowdose CT with oral contrast. Eur Radiol. 2019;29(1):345-52.
19. Moghadam MN, Salarzaei M, Shahraki Z. Diagnostic accuracy of ultrasound in diagnosing acute appendicitis in pregnancy: a systematic review and meta-analysis. Emerg Radiol. 2022.
20. Lehnert BE, Gross JA, Linnau KF, et al. Utility of ultrasound for evaluating the appendix during the second and third trimester of pregnancy. Emerg Radiol. 2012;19(4):293-9.
21. Badr DA, Selsabil MH, Thill V, et al. Acute appendicitis and pregnancy: diagnostic performance of magnetic resonance imaging J Matern Fetal Neonatal Med. 2021:1-4.
22. Dewhurst C, Beddy P, Pedrosa I. MRI evaluation of acute appendicitis in pregnancy. J Magn Reson Imaging. 2013;37(3):56675.
23. Kave M, Parooie F, Salarzaei M. Pregnancy and appendicitis: a systematic review and meta-analysis on the clinical use of MRI in diagnosis of appendicitis in pregnant women. World J Emerg Surg 2019;14:37.
Rachel
†
Tim Montrief MD, MPH‡ Michael
Gottlieb,MD§
Section Editor: Nicholas Pettit, DO, PhD
* † ‡ §
Madigan Army Medical Center, Department of Emergency Medicine, Tacoma, Washington
Brooke Army Medical Center, Department of Emergency Medicine, Fort Sam Houston, Texas
Jackson Memorial Health System, Department of Emergency Medicine, Miami, Florida Rush University Medical Center, Department of Emergency Medicine, Chicago, Illinois
Submission history: Submitted June 30, 2022; Revision received August 18, 2022; Accepted August 23, 2022
Electronically published October 23, 2022
Full text available through open access at http://escholarship.org/uc/uciem_westjem DOI: 10.5811/westjem.2022.8.57929.
An abortion is a procedure defined by termination of pregnancy, most commonly performed in the first or second trimester. There are several means of classification, but the most important includes whether the abortion was maternally “safe” (performed in a safe, clean environment with experienced providers and no legal restrictions) or “unsafe” (performed with hazardous materials and techniques, by person without the needed skills, or in an environment where minimal medical standards are not met). Complication rates depend on the procedure type, gestational age, patient comorbidities, clinician experience, and most importantly, whether the abortion is safe or unsafe. Safe abortions have significantly lower complication rates compared to unsafe abortions. Complications include bleeding, retained products of conception, retained cervical dilator, uterine perforation, amniotic fluid embolism, misoprostol toxicity, and endometritis. Mortality rates for safe abortions are less than 0.2%, compared to unsafe abortion rates that range between 4.7-13.2%. History and physical examination are integral components in recognizing complications of safe and unsafe abortions, with management dependent upon the diagnosis. This narrative review provides a focused overview of post-abortion complications for emergency clinicians. [West J Emerg Med. 2022;23(6)919–925.]
Abortion techniques and contraception have been described throughout history.1–3 In the current era, multiple countries place no restrictions on abortion, but most have an upper gestational age limit for when abortion can be performed, ranging from 6-24 weeks.3 However, as of 2021, 24 countries have issued a complete ban on abortions. The World Health Organization (WHO) classifies abortions as maternally “safe” or “unsafe”; “safe” abortion are ones performed in a setting where abortion laws are not restrictive, or if there is a formal law, safe abortion is still available.3,4 An “unsafe” abortion is performed by a person without the needed skills, performed with hazardous materials and techniques, or performed in an environment where minimal medical standards are not met.3,5–7
Unsafe abortions are a preventable pandemic, endangering females in locations where abortion is highly restricted by law or in countries where, even if legally permitted, safe abortion is not easily accessible.8,9 In this setting, females with an unintended pregnancy often self-induce abortions
or obtain clandestine abortions from medical practitioners, paramedical workers, or traditional healers.5,6 Due to the risk of complications and potential risks associated with abortions, especially unsafe abortions, emergency clinicians must be able to recognize and manage these complications in the emergency department (ED) setting.
We searched PubMed and Google Scholar for articles using the keywords “abortion” OR “post-abortion” AND “complication” from January 1, 1950–June 7, 2022. We also searched the first 200 articles resulted by Google Scholar for each of the keywords. Articles reviewed included case reports and series, retrospective studies, prospective studies, systematic reviews and meta-analyses, and other narrative reviews. Literature searches were restricted to studies published in English. The gray literature including conference abstracts was not searched. Two emergency clinicians with experience in critical appraisal of the literature reviewed the articles and
decided which to include for review by consensus, with a focus on emergency medicine-relevant articles. We preferentially selected systematic reviews and meta-analyses, followed by prospective studies, retrospective studies, case reports, and other narrative reviews. We included 123 resources for construction of this narrative review. Of these, there were zero guidelines, five systematic reviews and meta-analysis, 20 prospective studies, 27 retrospective studies, 26 case reports, and 35 narrative reviews. We also included 10 online resources from international organizations such as WHO and the US Centers for Disease Control and Prevention (CDC).
Abortion rates vary based on several factors. From 2010–2014, the worldwide abortion rate was estimated at 35 per 1,000 females between the ages of 15-44 years.10,11 Rates approximate 37 per 1,000 in low- and middle-income countries (LMIC) and 27 per 1,000 in resource-rich countries.10,11 The highest rate of abortions occurs in those aged 20-29 years (18.5-19.1 per 1,000).10–12 In 2019, 629,898 abortions were reported to the CDC throughout the United States.11 Over 85% of these abortions occurred in unmarried patients, and abortion rates were highest in non-Hispanic Blacks.10–13 There are documented disparities in abortion rates, with higher rates in women of color, lower income, and less education, which may be associated with systemic hardships including reduced access to healthcare, racial discrimination, poorer living and working conditions, and greater stress.13
The majority of US abortions occur in the first trimester, with 92% performed at ≤13 weeks gestation, 8% at 14-20 weeks, and 1% at >21 weeks.14 Worldwide, second-trimester abortions comprise 10-15% of all abortions. Medication-induced abortion are responsible for 39% of abortions prior to nine weeks of gestation, while for those with gestational age ≥14 weeks, over 92% of abortions are surgical.11,12
Prior to 2022, over 26 million safe abortions and 20-25 million unsafe abortions were performed annually.10–12,15–17 Approximately 97% of unsafe abortion occur in LMIC.9 Complete data is limited due to the restrictions on abortions and the secrecy involved, but the highest rates appear to occur in Latin America and Africa at 31 per 1,000 females per year and 28 per 1,000 females per year, respectively.18 This is followed by Asia at rates of 11 per 1,000 females, although hospital admissions are highest in Asia, at 8.2 per 1,000 females.18
Patients can present to the ED after an abortion, some with complications from the abortion. Although abortion-related complications are rare in the US, there is a paucity of data regarding national-level estimates of abortion-related ED visits.19 Within California’s Medicaid program, 0.03% of abortions were followed by an immediate ambulance transfer to an ED, and 2.6% of abortions were followed by an abortion-related ED visit within six weeks of the abortion, while ED visit rates in New York and Philadelphia following an abortion were 0.3%,
congruent with Planned Parenthood data from 2009.20–22
Complication rates depend on the procedure type, gestational age, patient comorbidities, clinician experience and, most importantly, whether the abortion was performed in a safe or unsafe manner.8,9,19,23 The majority of complications associated with abortion are minor, but major complications can occur including severe hemorrhage, endometritis, non-uterine organ injury, and disseminated intravascular coagulation (DIC). 8,9,19,23 A study evaluating 54,911 abortions found an overall complication rate of 2.1%.19 Medication abortions had a 5.2% complication rate (4.9% minor, 0.3% major), with rates of 1.3% in the first trimester and 1.5% for the second trimester.19 First-trimester aspiration had a complication rate of 2.3% (1.1% minor, 0.2% major).19 In the US, the overall mortality rate is less than 1 per 100,000 abortions performed, and in 2010 10 females died from a legally induced abortion.11,12,21,24,25 Mortality rates are lowest in the first nine weeks of gestation (<0.3 per 100,000 abortion), with an increase after this period (7 per 100,000 at 16-20 weeks of gestation and 11 per 100,000 at >21 weeks).24,25 This is similar to the rate of mortality associated with dental procedures (0-1.7 deaths per 100,000).21,24,25 Overall mortality rates for safe abortions are less than 0.2%, but for unsafe abortions the mortality rate is significant.20,21 Approximately 68,000 females die annually due to a complication from an unsafe abortion.8,9,15 Countries with less training of and access to abortion clinicians have higher maternal mortality rates.25 Annual maternal mortality rates associated with unsafe abortion range from 4.7-13.2%.8,9 In countries with significant resources, 30 females per 100,000 unsafe abortions die annually, but the incidence rises to 220 deaths per 100,000 unsafe abortions in settings with limited resources.8,9,23 Mortality associated with an unsafe abortion is most commonly due to septic abortion and hemorrhage.8,9,23
There are several methods for safe abortions. The procedure may be medication-based or interventional, depending on the gestational age, patient preferences, experience of the clinician, and access to resources. Patients within the first trimester may undergo medical or interventional abortion (eg, aspiration). There are several differences between the two types, detailed in Table 1.26–29 In the second trimester, patients may undergo induction with medications or intervention with dilation and evacuation (D&E). Following termination of the pregnancy, patients typically experience vaginal bleeding similar to or slightly heavier than normal menstruation along with mild lower abdominal or pelvic cramping. Serum human chorionic gonadotropin (hCG) levels return to undetectable levels 7-60 days after the abortion.26
There are several methods by which unsafe abortions are performed.3,6 The method chosen depends on the patient, available resources, and any assistance the patient receives. The various forms are detailed in Table 2.
1st trimester: Medication (Induction)
- Regimens: Mifepristone 200 mg plus misoprostol 800 mcg or misoprostol only
- Typically used up to 11 weeks gestational age
- Vaginal bleeding begins 1-4 hours after medication administration, with pregnancy expulsion occurs 3-8 hours after medication administration
- Side effects can include abdominal cramping, vaginal bleeding, brief low-grade fever, headache, dizziness, nausea, vomiting, and diarrhea
- Efficacy approximates 95-98%
- Higher complication rate due to risk of failure and retained tissue
Table 2. Unsafe abortion types and complications. Forms of unsafe abortion Abortion Complications*
-Oral or injectable material: chloroquine, detergents, hormones, kerosene, lead, metal salts, oral contraceptive pills, phosphorus, teas/herbal remedies, turpentine, uterine stimulants (misoprostol or oxytocin)
-Bleeding
-Retained products of conception
-Misdiagnosed ectopic pregnancy -Uterine perforation
1st trimester: Uterine aspiration
- Procedure includes dilation of the cervix, insertion of a cannula into the uterine cavity, and aspiration of uterine contents
- Cervical ripening agent (e.g., misoprostol) can be used
- Used up to 14 weeks gestation
- Efficacy approximates 99%
- Typically requires local anesthesia and/or sedation
-Preparation placed in the cervix, vagina, or rectum: enemas, herbal preparations, misoprostol, potassium permanganate tablets
-Intrauterine instrumentation: catheter insertion and infusion of substance (alcohol, saline), foreign body insertion (knitting needles, stitch hook, coat hanger, air blown through a syringe)
-Retained cervical dilator -Amniotic fluid embolism -Misoprostol/substance toxicity -Post-abortion infection and endometritis
2nd trimester: Medication (Induction)
- Regimens: misoprostol (most common), mifepristone, misoprostol and mifepristone, oxytocin, carboprost, sulprostone
- Allows for expulsion of intact fetus
- Higher risk of complications compared to interventional measures, including hemorrhage and retained products
- Approximately 8-10% of cases require intervention for further removal
- May require 24 hours or longer before pregnancy expulsion is completed
-Transcervical introduction of substances: Cresol, phenol, soap
-Trauma to abdomen or back: Abdominal massage, jumping from a height, lifting heavy weights, self-inflicted blows
*These complications may occur in both safe and unsafe abortions.
2nd trimester: Dilation and evacuation
Table 1. Safe abortion types. mg, milligram; mcg, microgram.
- Account for the majority of second-trimester abortions
- Short procedure time (<30 minutes once cervix is dilated)
- Higher efficacy rates compared to secondtrimester medical abortions
- Risk of uterine perforation
- Prophylactic antibiotics are administered
The primary goal of the ED assessment is evaluation for dangerous post-abortion complications. A focused history and physical examination can provide important information and determine the need for further testing and treatment. History should include gestational history, estimated gestational age at the time of abortion, current symptoms (eg, bleeding, vaginal discharge, fever, chills, rigors, abdominal or pelvic pain), details of the abortion procedure (eg, procedure date, whether a surgical procedure was performed, medications used, whether any procedural complications occurred), and comorbidities.6 Medical history including known coagulopathy, diabetes, immunocompromised state, and prior abdominal and obstetric/ gynecologic (OB/GYN) procedures should be obtained. Of note,
females with a self-induced abortion may be hesitant to disclose the attempt due to perceived legal or social repercussions. Emergency clinicians must remain vigilant and inquire in a nonjudgmental fashion concerning any abortion attempt. Directed questions about where and how the abortion was performed are necessary to guide further evaluation and management.6 History should be obtained without the patient’s partner in the room. Examination requires assessment of the patient’s hemodynamic status. Abdominal examination should assess for focal tenderness or evidence of peritonitis (eg, guarding or rigidity). Speculum and bimanual examinations should also be performed, evaluating for bleeding, vaginal discharge, trauma or laceration, uterine tone, tenderness, retained tissue, and masses.6 Laboratory analysis should include the following: complete blood count; electrolytes; renal and liver function; hCG level; coagulation panel, and blood type and screen (with crossmatch if bleeding) although this can be adjusted for the severity of presentation.30 If there is evidence of severe infection, blood and cervical cultures should be obtained, as well as lactic acid level.31,32 Fibrinogen, fibrin split products, and D-dimer should be obtained in patients with concern for DIC based on history and examination. The need for imaging evaluation is based on the suspected complication.30,33
Ultrasound can help identify retained products of conception (RPOC), ongoing pregnancy, ectopic masses, echogenic material
within the uterus, hematoma formation, and intra-abdominal free fluid, which may suggest a uterine perforation, rupture, or vascular injury. An initial point-of-care ultrasound would be valuable to assess for intrauterine pregnancy and free fluid as part of the initial management, although many patients may need a more comprehensive radiologic ultrasound to assess for more advanced or complex findings. Computed tomography (CT) may help in the evaluation of uterine rupture, pelvic abscess, bowel injury, hematoma, or uterine myonecrosis.
Vaginal bleeding is common after an abortion and is usually similar to or heavier than a normal menstrual cycle. Patients with medical abortions typically have more bleeding compared to surgical abortions and may present similarly to those having a spontaneous abortion.6,29 One study reported that blood loss ranged between 84-101 milliliters (mL) in patients undergoing safe medical abortion and 53 mL in abortion via aspiration.34 This bleeding does not typically require additional therapy or intervention, with less than 1% of first-trimester patients who underwent a safe abortion requiring acute intervention and 0.05% requiring a blood transfusion.20,21,35,36 Bleeding is usually bimodal, with moderate or heavy bleeding that is worse 3-8 hours after medication administration.37,38 After this time frame, bleeding lessens but can last up to 17 days, followed by bleeding 30-60 days that marks the resumption of menses.39–42 Initial bleeding most commonly lasts for 9-12 days following medical abortion, but this is less for those undergoing surgical abortion.42,43 In unsafe abortions, the rate of severe hemorrhage increases to 3%, with non-severe bleeding occurring in up to 44% of patients.23 The differential diagnosis for patients with post-abortion bleeding is demonstrated in Table 3.
Patients should seek medical evaluation if they soak through two pads per hour for two consecutive hours, which is suggestive of severe hemorrhage.30,36,44,45 Evaluation and management of hemorrhage in the post-abortion setting is similar to that of the postpartum period, with consideration of the differential listed in Table 3. If the physical examination does not reveal a readily apparent source (e.g., vaginal laceration), pelvic ultrasound should be performed to evaluate for RPOCs, uterine blood, or evidence of uterine perforation (eg, free fluid or air in the pelvis).30,33,45
Cervical or vaginal lacerations are typically repaired in the postoperative period. If a small laceration is discovered on ED evaluation, apply direct pressure or consider silver nitrate cauterization.30,33,45 Extensive lacerations may require OB/GYN consultation and placement of absorbable sutures.30,33,45 If an etiology is not discovered on physical examination or ultrasound, consider uterine atony. Uterine atony is treated with uterine massage and administration of uterotonic agents (Table 4). If uterotonic medications and bimanual massage are not effective, intrauterine tamponade can be performed, including a Bakri balloon or Foley catheter.30,45
Table 3. Post-abortion bleeding etiologies.
More common:
-Cervical or vaginal canal laceration
-Coagulopathy
-Retained products of conception
-Uterine atony
-Uterine perforation
Less common:
-Abnormal placenta location
-Undiagnosed ectopic or heterotopic pregnancy
-Uterine arteriovenous malformation -Uterine artery pseudoaneurysm
Patients with severe bleeding and/or hemodynamic instability should receive blood products. Emergency consultation with OB/ GYN and surgical specialists is recommended. Activation of a massive transfusion protocol may be required. Tranexamic acid (TXA) should also be considered.30 Literature has demonstrated that TXA may reduce the risk of postpartum hemorrhage and does not increase the risk of developing thromboses.49 If bleeding remains refractory to other therapies or in the setting of abnormal vascular bleeding, interventional radiology may need to perform uterine artery embolization.30,50–52 Some patients may also require surgical management in the operating room.30
Retained products of conception occur more commonly with medical abortions compared to surgical abortions and are more common after the first trimester (2-10% of those undergoing
Table 4. Management of uterine atony.
Intervention Dosing, route, and side effects Initial30
Bimanual massage
*Ensure that the placenta is evacuated completely Medical
1. Misoprostol 600 mcg SL or 1000 mcg PR⁴6
2. Methylergonovine 0.2 mg IM⁴7
*Avoid in patients with hyper tension
3. Carboprost 250 mcg IM⁴8
*Avoid in patients with asthma as well as cardiac, hepatic, pulmonary, and renal disease
Physical tamponade30,45
1. Bakri balloon– fill with 500 mL of warm normal saline
2. Foley balloon– fill with 50-60 mL
mcg, microgram; SL, sublingual; PR, by rectum; IM, intramuscular; ml, milliliter.
abortion in the second trimester).53,54 Patients may report tissue passage even without passing the fetal tissue itself, as decidualized endometrium can shed with ongoing pregnancy.6,29 RPOCs are also more common in unsafe abortions, especially if self-induced, if the procedure is performed by an inexperienced individual or in later gestational ages, or uterine abnormality is present.19,20,30,55 Patients with RPOCs may present with vaginal bleeding, abdominal or pelvic pain, fever, and uterine tenderness.55 While bleeding is common after an abortion, large volume bleeding (≥2 pads per hour for ≥ 2 hours), sustained fever, worsening pain, or persistent pain lasting for multiple days is abnormal and should raise concern for RPOCs.19,20,30,37,38
Ultrasound has a more limited ability to diagnose RPOCs as necrotic decidua and blood clots within the uterus following abortion can mimic RPOCs, with significant overlap between findings in asymptomatic and symptomatic patients.56,57 The uterus may demonstrate irregular and thickened lining with prominent color Doppler flow in patients with RPOCs, as well as those recovering after a successful abortion.56,58 However, a hyperechoic endometrial mass or solid component in the endometrium found on ultrasound in the setting of abnormal bleeding or evidence of infection is sensitive for RPOCs (Figure 1).59–62 Low-resistance Doppler flow within the myometrium or just below the endometrium is also suspicious for RPOCs.62,63 Emergent consultation with OB/GYN is recommended, as treatment includes RPOC removal through vacuum aspiration or D&E.30,45,56
Ectopic pregnancy is associated with significant morbidity and mortality. However, ectopic pregnancy occurs in less than 1% of patients who present for abortion, which is close to three times lower than the overall rate of ectopic pregnancy.64–66 The literature suggests an ectopic pregnancy rate of 7=20 per 100,000 procedures.21,67 Ectopic pregnancy is most likely to occur in an abortion performed in a pregnancy of unknown location (ie, no yolk sac or fetal pole present on ultrasound).68 Patients with ectopic pregnancy most commonly present with abdominal pain or vaginal bleeding.69–71 Evaluation should include an ultrasound for intrauterine and extrauterine masses. In the post-abortion setting, ectopic pregnancy can be excluded by identifying products of conception after the aspiration.68 If an extrauterine mass is found on ultrasound, emergent consultation with OB/GYN is necessary.69–71
Uterine perforation is a potential complication of any intrauterine procedure and is the most common site of upper genital tract injury.35,72,73 Injury to the bowel, bladder, and surrounding vasculature may accompany uterine perforation.35,72–75 Data on these injuries is scarce, with three case series of 92 total uterine perforations reporting bowel or bladder injury in six cases.76–78 Overall, uterine perforation is uncommon, with rates ranging between 0.1-2.3% in safe medical
Figure 1. Ultrasound showing evidence of retained products of conception, demonstrated by echogenic, heterogeneous, and vascular intrauterine contents. Case courtesy of Dr Alexandra Stanislavsky, Radiopaedia.org, rID: 13852. Accessed at https:// radiopaedia.org/cases/retained-products-of-conception-2?lang=us.
abortions.29,30,35,79,80 Rates of uterine perforation are higher in unsafe abortions due to the instruments used and inexperience of the person performing the procedure.23 Factors associated with an increased risk of uterine perforation include surgeon inexperience and inadequate preoperative cervical dilation.35,38 Other factors include those that create difficulty in accessing the endometrial cavity (eg, cervical stenosis, uterine anteflexion/retroflexion) and those that alter the myometrial wall integrity and strength (eg, prior cesarean delivery, uterine scarring), particularly for those undergoing medication-induced abortion in the second trimester.72,73,81 While patients often experience mild-to-moderate abdominal or pelvic cramping for several hours after the procedure, continued and severe pain is atypical.75
Of note, patients can present up to several weeks after the procedure, which depends on the site of uterine injury and concomitant organ injuries.82,83 Symptoms include focal or diffuse abdominal/pelvic pain, abdominal distension, heavy or persistent vaginal bleeding, hematuria, and fever. Patients may also present with tachycardia and hypotension.23 Loops of bowel can become incarcerated within the uterine defect and result in bowel obstruction and subsequent perforation.84–88 Initial imaging includes ultrasound, which may demonstrate a defect in the uterine wall, abdominal free fluid, or abnormal contents within the uterus including fetal tissue (Figure 2).86,89
However, ultrasound should not be used to exclude uterine perforation; if the ultrasound is non-diagnostic, further imaging with CT of the abdomen/pelvis is recommended (Figure 3).29,80,86 Computed tomography is also recommended in the setting of suspected bowel perforation, as CT is highly sensitive and specific and can localize the site of perforation.90–93 If uterine
perforation is suspected, emergent consultation with OB/ GYN and general surgery is recommended. Patients with isolated uterine perforation can be managed surgically or expectantly, depending upon the patient’s hemodynamic status.88 Patients with concomitant bowel perforation require surgical specialist consultation, intravenous (IV) fluid resuscitation and symptomatic management, and broad-spectrum antibiotics.
Osmotic dilators are typically placed the day prior to D&E. Complications are rare but can occur while the dilator is in place. These complications include bleeding, infection, rupture of membranes, and allergic reaction.94 Cases of retained cervical
Figure 3. Computed tomography demonstrating a) fluid collection anterior to the uterus that communicates with the endometrial cavity and b) defect in the anterior wall of the uterus. Case courtesy of Dr Hidayatullah Hamidi, Radiopaedia.org, rID: 90743. Available at https://radiopaedia.org/cases/uterine-rupture-withpostpartum-infection?lang=us.
Figure 2. Ultrasound demonstrating pelvic free fluid and rising gas bubbles, indicative of uterine perforation. Image courtesy of Robert Jones, DO, POCUS Atlas. Available at https://www. thepocusatlas.com/ob-gyn-atlas.
dilators have been reported, in which patients presented with pelvic pain and vaginal bleeding. In these cases, the retained dilator was found on imaging and removed surgically.95,96
Amniotic fluid embolism (AFE) is a life-threatening obstetric complication following abortion or delivery.97,98 Patients develop sudden and refractory circulatory collapse with DIC, the latter of which occurs in up to 80% of patients.97,99 While AFE more commonly occurs in full-term deliveries, it can occur following abortion.100–105 An AFE secondary to abortion appears to be rare, but it accounted for approximately 5.5% of mortality in abortions within 2011–2013 Pregnancy Mortality Surveillance System analysis, with 1 of 111 AFEs occurring following an abortion.106,107
The American Society for Maternal-Fetal Medicine set forth four diagnostic criteria to improve recognition for this disease, which carries a mortality risk of 11-61%, The
criteria include the following: 1) sudden hypotension or cardiopulmonary collapse; 2) DIC; 3) symptom development during labor and/or delivery of products of conception; and 4) absence of fever.98,108,109 Treatment requires prompt recognition of AFE, triggering immediate evacuation of the fetus or products of conception and aggressive maternal cardiopulmonary support to include fluid administration, vasopressor and inotropic support, as well as consideration of phosphodiesterase inhibition for right ventricular optimization.110 Venoarterial extracorporeal membrane oxygenation (ECMO) has demonstrated positive outcomes for severe cases in high-volume ECMO centers, although considerable risk is incurred with cannulation during profound coagulopathy.111,112 In a study of 10 AFEs treated with ECMO, there was a 70% survival-to-hospital-discharge rate.113
Toxicity from misoprostol, a prostaglandin E analogue, is uncommon in safe abortion settings but is more likely in unsafe abortions. Toxic doses between 3-8 milligrams (mg) may result in severe fever, rigors, abdominal pain and cramping, vomiting and diarrhea, agitation, altered mental status, hypotension, hypoxemia, and rhabdomyolysis.114–117 These signs and symptoms typically develop quickly after initial ingestion, as misoprostol is completely absorbed from the stomach within 1.5 hours. Management includes removing remaining tablets from the stomach (e.g., gastric lavage) or vagina, along with supportive care including IV fluids and antiemetics. Vasopressors may be needed in those patients who are refractory to IV fluids. Symptoms typically resolve in 12 hours, but doses over 12 mg may result in multiorgan failure and death.114,116–118
Septic abortion is defined by any uterine infection that complicates a spontaneous or induced abortion. This is a potential complication of both medication and surgical abortions and can be due to RPOCs or the procedure itself (eg, trauma, nonsterile
technique). Importantly, post-abortion infection is a clinical diagnosis in the setting of a patient who presents with signs and symptoms of uterine infection following abortion. Septic abortion occurs in less than 0.4% of patients undergoing first trimester uterine aspiration and safe abortions, but this rate is much higher in those undergoing unsafe abortions.20,21 Non-severe infection occurs in 24% of those undergoing unsafe abortions, while severe infection occurs in 5.1%.21
The most common microbes include Enterobacteriaceae, streptococci, staphylococci, and enterococci, which are common endogenous vaginal and gastrointestinal flora.31 Other causative organisms include Chlamydia trachomatis, Neisseria gonorrhoeae, and Trichomonas vaginalis from pre-existing infections.31 Group A streptococcus and clostridium species can result in serious infections with rapid deterioration associated with toxic shock syndrome.31,32,107,107,119 Patients with postabortion infections including endometritis typically present with pelvic and/or abdominal pain, nausea, vomiting, uterine tenderness, vaginal discharge and/or bleeding, and fever. Vaginal discharge is often sanguinopurulent.20,31,32 If history and examination suggest septic abortion, broad-spectrum antibiotics should be administered along with symptomatic management and resuscitation.
Antibiotic regimens are provided in Table 5.20,31,32 Consultation with OB/GYN is necessary if the diagnosis is suspected and should occur prior to imaging. Ultrasound can be used to evaluate for RPOCs, but a normal ultrasound should not be used to exclude septic abortion. Ultrasound may demonstrate intrauterine tissue, enhanced myometrial vascularity, hydrosalpinges, or an adnexal mass, which may suggest an abscess.120 Computed tomography may be used if the clinician is concerned for another condition or intra-abdominal abscess. If RPOCs are present, vacuum aspiration dilation and curettage is necessary.32 Patients may rapidly progress to acute respiratory distress syndrome, DIC, and acute renal injury.8,9,19,23,121,122
While emergency clinicians must focus on the medical management of abortion complications, they must also be mindful of the patient’s mental health and wellbeing. Women who undergo an abortion may have increased rates of mental health issues as compared to women who do not; the highest risk population includes women undergoing an abortion who have pre-existing mental health issues.123 Regardless of the clinician’s personal views, they must approach these patients with compassion and address any mental health concerns.123
This is a narrative review, and thus no pooling of data from individual studies was conducted. Neither did we assess article quality or risk of bias. Much of the included literature consists of studies conducted in non-emergent settings; thus, generalizing these studies to the ED setting is challenging. Much of the information and resources come from society guidelines.
Table 5. Antibiotic regimens for post-abortion infection or endometritis.
Imipenem 500 mg IV
Piperacillin-tazobactam 4.5 g IV
Levofloxacin 500 mg IV + metronidazole 500 mg IV
Gentamicin 5 mg/kg IV + ampicillin 2 g IV + metronidazole 500 mg IV
Gentamicin 5 mg/kg IV + ampicillin 2g IV + clindamycin 900 mg IV
IV, intravenous; mg, milligram; kg, kilogram; g, gram.
Abortion complications present a spectrum of emergencies ranging from small lacerations to life-threatening complications requiring immediate control. Unsafe abortions have a far higher rate of complications. Complications include bleeding, retained products of conception, retained cervical dilator, uterine perforation, amniotic fluid embolism, misoprostol toxicity, and endometritis. Supportive and nonjudgmental history and physical examination are integral in recognizing complications of safe abortions as well as issues that arise from unsafe abortions. Prompt recognition of the specific emergency with immediate stabilization and potential specialist consultation can mitigate morbidity and mortality.
BL, REB, TM, and MG conceived the idea for this manuscript and contributed substantially to the writing and editing of the review. This review does not reflect the views or opinions of the US government, Department of Defense, US Army, US Air Force, Defense Health Agency, Brooke Army Medical Center, or SAUSHEC EM Residency Program.
Address for Correspondence: Brit Long, MD, Brooke Army Medical Center, Department of Emergency Medicine, 3841 Roger Brooke Dr, Fort Sam Houston, TX 78234. Email: brit.long@yahoo.com.
Conflicts of Interest: By the WestJEM article submission agreement, all authors are required to disclose all affiliations, funding sources and financial or management relationships that could be perceived as potential sources of bias. No author has professional or financial relationships with any companies that are relevant to this study. There are no conflicts of interest or sources of funding to declare.
Copyright: © 2022 Bridwell et al. This is an open access article distributed in accordance with the terms of the Creative Commons Attribution (CC BY 4.0) License. See: http://creativecommons.org/ licenses/by/4.0/
See supplemental file
*
Jason R. West, MD*
Rykiel Levine, DO*
Jason Raggi, DO*
Du-Thuyen Nguyen, MBBS†
Matthew Oliver, MBBS†‡
Nicholas D. Caputo, MD, MS*
John C. Sakles, MD§
Section Editor: Gabriel Wardi, MD
NYC Health + Hospitals | Lincoln, Department of Emergency Medicine, Bronx, New York Royal Prince Alfred Hospital, Sydney, Department of Emergency Medicine, New South Wales, Australia
RPA Green Light Institute for Emergency Care, Sydney, New South Wales, Australia University of Arizona College of Medicine, Department of Emergency Medicine, Tucson, Arizona
Submission history: Submitted November 12, 2021; Revision received June 27, 2022; Accepted May 28, 2022
Electronically published November 1, 2022 Full text available through open access at http://escholarship.org/uc/uciem_westjem DOI: 10.5811/westjem.2022.5.55378
Introduction: Prior to intubation, preoxygenation is performed to denitrogenate the lungs and create an oxygen reservoir. After oxygen is removed, it is unclear whether renitrogenation after preoxygenation occurs faster in the supine vs the sitting position.
Methods: We enrolled 80 healthy volunteers who underwent two preoxygenation and loss of preoxygenation procedures (one while supine and one while sitting) via bag-valve-mask ventilation with spontaneous breathing. End-tidal oxygen (ETO2) measurements were recorded as fraction of expired oxygen prior to preoxygenation, at the time of adequate preoxygenation (ETO2 >85%), and then every five seconds after the oxygen was removed until the ETO2 values reached their recorded baseline.
Results: The mean ETO2 at completion of preoxygenation was 86% (95% confidence interval 8588%). Volunteers in both the supine and upright position lost >50% of their denitrogenation in less than 60 seconds. Within 25 seconds, all subjects had an ETO2 of <70%. Complete renitrogenation, defined as return to baseline ETO2, occurred in less than 160 seconds for all volunteers.
Conclusion: Preoxygenation loss, or renitrogenation, occurred rapidly after oxygen removal and was not different in the supine and sitting positions. After maximal denitrogenation in healthy volunteers, renitrogenation occurred rapidly after oxygen removal and was not different in the supine and sitting positions. [West J Emerg Med. 2022;23(6)926–930.]
Prior to emergent tracheal intubation, preoxygenation is performed to maintain tissue oxygenation throughout the period when a patient may be apneic.1 Rapid sequence intubation (RSI) is the most common medication sequence to facilitate emergent intubation and involves the use of an induction agent and a neuromuscular blocker.2 The main purpose of preoxygenation is to maintain tissue oxygenation throughout the apneic period during laryngoscopy as oxygen consumption persists despite the lack of oxygen flow.1,3 If a patient is unable to tolerate preoxygenation, delayed sequence intubation
(DSI) can be performed by administering the induction agent first to facilitate preoxygenation prior to administering the neuromuscular blocker.4 Without adequate preoxygenation, a patient undergoing RSI may desaturate quickly because denitrogenating the functional residual capacity (FRC) and formation of an alveolar oxygen reserve did not occur.5-11 Preoxygenation is recommended to be measured using end-tidal oxygen (ETO2), where available, with an ETO2 concentration of >85% considered to be adequate.12
Preoxygenation efforts should continue to the onset of apnea, but sometimes the oxygen source is removed prior to
the onset of apnea resulting in a potential loss of adequate preoxygenation. Spontaneous respiration of room air after the preoxygenation delivery device is removed will result in loss of preoxygenation and reduced safe apnea time.13 Most emergency department intubations occur in the supine position.14 However, some have advocated for emergent tracheal intubation to occur in an inclined or head-of-bed elevation position, which may improve laryngeal view,15 increase first-pass success rate,16 and decrease peri-intubation complications.17 Furthermore, head-ofbed elevation likely improves preoxygenation and extends the safe apneic period.18-21
Although preoxygenation in the head-of-bed elevated position may help alveolar oxygenation compared to the supine position, it is unknown whether the loss of adequate preoxygenation is affected by patient positioning. We sought to investigate whether the upright position would result in reduced preoxygenation loss compared to the supine position when oxygen delivery was removed. The purpose of this study was to determine the rate of preoxygenation loss in healthy individuals in both the supine and upright positions.
We conducted a prospective, cohort crossover study of healthy volunteers at two urban, academic teaching hospitals near sea level in New York City, NY, and Sydney, Australia. The volunteers were resident physicians recruited when they were available, and no compensation for enrollment was given. This study was approved by the Institutional Review Board and the Ethics Board of the New York City and Sydney hospitals, respectively. We recruited healthy volunteers who consented to participation.
Demographic details such as age, weight, height, and smoking status were taken for each volunteer. All subjects were preoxygenated via bag-valve-mask ventilation in the supine position after being instructed to breath normally until their ETO2 was >85% or until their ETO2 had plateaued on the maximum oxygen flow rate, which was 15 liters per minute (L/min) at the Sydney site and 50 L/min at the NYC site. End-tidal oxygen was measured as a fraction of expired oxygen (FeO2) using a Philips G5 gas analyzer (Philips Healthcare, Cambridge, MA) at the NYC site and a Philips G7 gas analyzer at the Sydney site. While remaining in the supine position, the oxygen supply was removed after optimal preoxygenation and ETO2 levels were recorded in five-second intervals until they reached baseline values consistent with continuously breathing room air. This process was repeated for each patient in the upright, sitting position.
As this was a pilot study of volunteers describing the rate of renitrogenation, and in the setting of the lack of prior data, an a priori sample size and power analysis was not performed. We
calculated mean measurements with 95% confidence intervals (CI). We plotted the ETO2 measurements over time after maximal preoxygenation and removal of the oxygenation source to measure renitrogenation and plotted the 95% confidence interval (CI) of the mean ETO2 values in five-minute intervals. We performed statistical analysis using XLSTAT (Addinsoft, Inc, New York, NY). Data were analyzed using repeated measures ANOVA, using the position (supine vs seated) and time (seconds) as factors to evaluate oxygen levels over time in the two positions. Statistical significance was accepted at P <0.05. Statistical analysis for the repeated measures ANOVA was performed via SPSS v 26 (IBM Corp, Armonk, NY).
We enrolled 80 volunteers. The mean age was 29 (95% CI 26-31), and the mean body mass index was 24 (95% CI 23-25). All volunteers were non-smokers. The mean baseline ETO2 was 16% (95% CI 16-17%). Only 12 (15%) volunteers required more than three minutes to achieve an ETO2 >85%, and the remainder achieved this goal in less than three minutes. The mean ETO2 at completion of the preoxygenation process was 86% (95% CI 85-88%). Loss of preoxygenation was detectable at five seconds after oxygen delivery device removal. Within 25 seconds all ETO2 values were less than 70% in both the supine and upright positions. Preoxygenation loss of 50% or greater occurred in less than 60 seconds (Figure). Complete renitrogenation, defined as return to baseline ETO2, occurred in less than 160 seconds for all volunteers. The repeated measures ANOVA analysis indicated there was no difference in ETO2 over time between the seated and supine position (P = 0.48).
In this group of healthy volunteers, renitrogenation occurred rapidly after maximal preoxygenation. Within just 25 seconds, all ETO2 values were less than 70% in both the supine and upright positions. End-tidal oxygen values <70% have been cited as inadequate in related literature.13 Prior to laryngoscopy, if room air is being entrained into the FRC of an ill patient, adequate oxygen reserve may be lost. This may have major implications for patients where oxygen reserve is decreased before the apneic period or in cases where the mask seal is broken, potentially leading to hypoxia and adverse patient outcomes. Our results are consistent with a similar study by Mosier et al13 who concluded that loss of preoxygenation in healthy patients occurred rapidly if oxygen sources were removed. Our study continued ETO2 measurements until they reached baseline values, and this allowed us to demonstrate renitrogenation, or deoxygenation, curves in healthy individuals after maximal preoxygenation. Within 160 seconds of breathing room air after maximal preoxygenation, all volunteers returned to their baseline ETO2 measurement.
Although preoxygenation has been previously studied in healthy volunteers while comparing sitting and supine positions, no studies have investigated the rate of
Figure. Renitrogenation after maximal preoxygenation in the supine and seated positions.
renitrogenation in both positions.22 In this study we did not find that the sitting position reduced preoxygenation loss compared to the supine position, using repeated measures ANOVA analysis. Previous studies have suggested that placing the patient in a head-of-bed elevated position may improve preoxygenation.18-21 Compared to a supine position, a sitting position has generally been shown to increase the forced vital capacity (FVC),23-25 especially among those with heart failure,25,26 and increase the FRC.25,27,28
The increase in FRC is likely due to diaphragmatic descent and reduced pulmonary blood volume. It is possible that increased FRC was obtained by our patients in the sitting position to some degree, but did not manifest as retained preoxygenation, especially considering that total lung and residual volumes are unlikely to be affected by patient positioning.27,29 Additionally, diffusing capacity is decreased in the sitting position compared to the supine position30; and this may reflect an increase in pulmonary capillary blood volume in the supine position.31 Furthermore, it is possible that position-related changes regarding airway closure, such as a reduced closing capacity in the supine position,32 were blunted because this effect is thought to increase with advanced age.33
Our study suggests that neither the supine nor the upright position hold an advantage over the other in terms of maintenance of denitrogenation during the hypoventilatory period prior to the onset of apnea or during preoxygenation in the presence of a mask leak. Our results are consistent with those of Mosier et al13 and highly emphasize that preoxygenation devices should be
left in place after the RSI drugs are administered and continue to deliver oxygen until the patient is determined to be ready for laryngoscopy and subsequent blade entry into the oropharynx. Our results suggest that when a patient becomes uncooperative with preoxygenation (removing a preoxygenation device or introducing a mask leak) prior to emergent tracheal intubation via RSI, DSI should be considered to avoid preoxygenation loss that may occur seconds before the RSI drugs would be administered.
Perhaps our renitrogenation curve data is most applicable to patients receiving drug-assisted intubation, where a neuromuscular blocking drug is not administered34 or when intubating patients for elective procedures. Our results also highlight that rapid loss of preoxygenation adequacy, whether due to mask leak or suboptimal oxygen delivery, can occur prior to laryngoscopy in patients undergoing emergent RSI and that ETO2 monitoring could measure this loss in real time.35,36
The first limitation to consider is that our study population comprised healthy volunteers who were not likely to have active lung pathology or pulmonary shunting that would be seen in critically ill patients requiring emergent RSI. Secondly, the oxygen demand of our volunteers was likely lower than those requiring intubation for critical illness; therefore, it is likely that our results underestimate the rapid loss of preoxygenation in critically ill patients after oxygen delivery is removed. Third, our volunteers were relatively young and without known lung or cardiac pathology that may have caused our results to be
different, since patient positioning from supine to sitting does not have consistent effects on pulmonary function tests between healthy and non-healthy patients.24-26,28 Fourth, including obese subjects instead of healthy subjects could have changed the mean ETO2 values observed. Finally, we did not administer RSI medications, which can cause hypoventilation that could slow renitrogenation or affect air entrainment.
In healthy volunteers breathing spontaneously, preoxygenation loss of 50% or greater occurred in less than 60 seconds after the oxygen delivery device was removed, highlighting the importance of a tight mask seal during preoxygenation. Loss of preoxygenation was detectable at five seconds after oxygen delivery device removal; and within 25 seconds, all patients had an ETO2 <70%. Preoxygenation loss was not different in the supine and sitting positions. Operators performing intubation in the ED should be cognizant of the rapid loss of preoxygenation and avoid removing the oxygen delivery source until there is complete apnea.
6. Benumof JL, Dagg R, Benumof R. Critical hemoglobin desaturation will occur before return to an unparalyzed state following 1 mg/kg intravenous succinylcholine. Anesthesiology. 1997;87(4):979-82.
7. Campell IT, Beatty PC. Monitoring preoxygenation. Br J Anaesth. 1994;72(1):3-4.
8. Bhatia PK, Bhandari SC, Tulsiani KL, et al. End-tidal oxygraphy and safe duration of apnoea in young adults and elderly patients. Anaesthesia. 1997;52(2):175–8.
9. Bodily JB, Webb HR, Weiss SJ. Incidence and duration of continuously measured oxygen desaturation during emergency department intubation. Ann Emerg Med 2016;67(3):389-95.
10. Groombridge C, Chin CW, Hanrahan B, et al. Assessment of common preoxygenation strategies outside of the operating room environment. Acad Emerg Med. 2016;342-6.
11. Farmery AD, Roe PG. A model to describe the rate of oxyhemoglobin desaturation during apnoea. Br J Anaesth 1996;76(2):284-91.
12. Higgs A, McGrath BA, Goddard C, et al. Guidelines for the management of tracheal intubation in critically ill adults. Br J Anaesth . 2018 Feb;120(2):323-352.
Address for Correspondence : Jason R. West, MD, NYC Health + Hospitals | Lincoln, Department of Emergency Medicine, 2C-2 Emergency Medicine, Bronx, NY 10451. Email: westj3@ nychhc.org.
Conflicts of Interest: By the WestJEM article submission agreement, all authors are required to disclose all affiliations, funding sources and financial or management relationships that could be perceived as potential sources of bias. No author has professional or financial relationships with any companies that are relevant to this study. There are no conflicts of interest or sources of funding to declare.
Copyright: © 2022 West et al. This is an open access article distributed in accordance with the terms of the Creative Commons Attribution (CC BY 4.0) License. See: http://creativecommons.org/ licenses/by/4.0/
13. Mosier J, Reardon RF, DeVries PA, et al. Time to loss of preoxygenation in emergency department patients. J Emerg Med 2020;59(5):637-42.
14. Stoecklein HH, Kelly C, Kaji AH, et al. Multicenter comparison of nonsupine versus supine positioning during intubation in the emergency department: a National Emergency Airway Registry (NEAR) Study. Acad Emerg Med . 2019;26(10):1144-51.
15. Nikolla DA, Beaumont RR, Lerman JL, et al. Impact of bed angle and height on intubation success during simulated endotracheal intubation in the ramped position. J Am Coll Emerg Physicians Open. 2020 Mar 13;1(3):257-262.
16. Turner JS, Ellender TJ, Okonkwo ER, et al. Feasibility of upright patient positioning and intubation success rates at two academic EDs. Am J Emerg Med . 2017;35(7):986-92.
1. Weingart SD, Levitan RM. Preoxygenation and prevention of desaturation during emergency airway management. Ann Emerg Med. 2012;59(3):165-75.
2. Brown CA 3rd, Bair AE, Pallin DJ, et al. Techniques, success, and adverse events of emergency department adult intubations. Ann Emerg Med . 2015;65(4):363-70.
3. Tanoubi I, Drolet P, Donati F. Optimizing preoxygenation in adults. Can J Anaesth . 2009;56(6):449-66.
4. Weingart SD, Trueger NS, Wong N, et al. Delayed sequence intubation: a prospective observational study. Ann Emerg Med 2015;65(4):349-55.
5. Benumof JL. Preoxygenation: best method for both efficacy and efficiency. Anesthesiology. 1999;91(3):603-5.
17. Khandelwal N, Khorsand S, Mitchell SH, et al. Head-elevated patient positioning decreases complications of emergent tracheal intubation in the ward and intensive care unit. Anesth Analg . 2016 Apr;122(4):1101-7.
18. Baraka AS, Hanna MT, Jabbour SI, et al. Preoxygenation of pregnant and nonpregnant women in the head-up versus supine position. Anesth Analg . 1992;75(5):757-9.
19. Altermatt FR, Muñoz HR, Delfino AE, et al. Pre-oxygenation in the obese patient: effects of position on tolerance to apnoea. Br J Anaesth . 2005;95(5):706-9.
20. Lane S, Saunders D, Schofield A, et al. A prospective, randomised controlled trial comparing the efficacy of pre-oxygenation in the 20 degrees head-up vs supine position. Anaesthesia 2005;60(11):1064-7.
21. Law JA, Duggan LV, Asselin M, et al. Canadian Airway Focus Group updated consensus-based recommendations for management of the difficult airway: Part 2. Planning and
implementing safe management of the patient with an anticipated difficult airway. Can J Anaesth . 2021;68(9):1405-36.
22. Smith SJ, Harten JM, Jack E, et al. Pre-oxygenation in healthy volunteers: a comparison of the supine and 45° seated positions. Anaesthesia . 2010;65(10):980-3.
23. Meysman M, Vincken W. Effect of body posture on spirometric values and upper airway obstruction indices derived from the flow-volume loop in young nonobese subjects. Chest 1998;114(4):1042-7.
24. Vilke GM, Chan TC, Neuman T, et al. Spirometry in normal subjects in sitting, prone, and supine positions. Respir Care 2000;45(4):401-10.
25. Yap JC, Moore DM, Cleland JG, et al. Effect of supine posture on respiratory mechanics in chronic left ventricular failure. Am J Respir Crit Care Med . 2000;162(4 Pt 1):1285-91.
26. Ceridon ML, Morris NR, Olson TP, et al. Effect of supine posture on airway blood flow and pulmonary function in stable heart failure. Respir Physiol Neurobiol . 2011;178(2):269-74.
27. Watson RA, Pride NB. Postural changes in lung volumes and respiratory resistance in subjects with obesity. J Appl Physiol (1985). 2005;98(2):512-7.
28. Benedik PS, Baun MM, Keus L, et al. Effects of body position on resting lung volume in overweight and mildly to moderately obese subjects. Respir Care . 2009;54(3):334-9.
29. Sebbane M, El Kamel M, Millot A, et al. Effect of weight loss on
postural changes in pulmonary function in obese subjects: a longitudinal study. Respir Care . 2015;60(7):992-9.
30. Terzano C, Conti V, Petroianni A, et al. Effect of postural variations on carbon monoxide diffusing capacity in healthy subjects and patients with chronic obstructive pulmonary disease. Respiration 2009;77(1):51–7.
31. Peces-Barba G, Rodriguez-Nieto MJ, Verbanck S, et al. Lower pulmonary diffusing capacity in the prone vs. supine posture. J Appl Physiol (1985). 2004;96(5):1937–42.
32. Craig DB, Wahba WM, Don HF, et al. “Closing volume” and its relationship to gas exchange in seated and supine positions. J Appl Physiol . 1971;31(5):717-21.
33. Leblanc P, Ruff F, Milic-Emili J. Effects of age and body position on “airway closure” in man. J Appl Physiol. 1970;28(4):448-51.
34. Cole CD, Wang HE, Abo BN, et al. Drug-assisted effects on protective airway reflexes during out-of-hospital endotracheal intubation (preliminary report). Prehosp Emerg Care 2006;10(4):472-5.
35. Oliver M, Caputo ND, West JR, et al. Emergency physician use of end-tidal oxygen monitoring for rapid sequence intubation. J Am Coll Emerg Physicians Open . 2020;1(5):706-13.
36. Caputo ND, Oliver M, West JR, et al. Use of end tidal oxygen monitoring to assess preoxygenation during rapid sequence intubation in the emergency department. Ann Emerg Med 2019;74(3):410-5.
Siobhan Thomas-Smith, MD*
Eileen J Klein, MD, MPH*
Bonnie Strelitz, MPH†
Jennifer Jensen, MPH†
Elizabeth Parker, PhD†
Laura Richardson, MD, MPH‡
Carolyn A McCarty, PhD‡
Taraneh Shafii, MD, MPH‡
Section Editor: Tony Zitek, MD
* † ‡
University of Washington, Seattle Children’s Hospital, Department of Pediatrics, Division of Emergency Medicine, Seattle, Washington
Center for Clinical and Translational Research, Seattle Children’s Research Institute, Seattle, Washington
University of Washington School of Medicine, Department of Pediatrics, Division of Adolescent Medicine, Seattle, Washington
Submission history: Submitted December 21, 2021; Revision received June 30, 2022; Accepted July 19, 2022
Electronically published November 4 2022 Full text available through open access at http://escholarship.org/uc/uciem_westjem DOI: 10.5811/westjem.2022.7.55755.
Introduction: In this study we aimed to assess the impact of an electronic health assessment with individualized feedback for risk behaviors in adolescents seeking care in a pediatric emergency department (ED).
Methods: We conducted a randomized control trial using a tablet-based screening program with a study population of adolescents in a busy pediatric ED. The intervention group received the screening program with individualized feedback. The control group received the screening program without feedback. All participants received one-day and three-month follow-up surveys to assess behaviors and attitudes toward health behaviors.
Results: A total of 296 subjects were enrolled and randomized. There was no difference in changes in risky behaviors between the control and experimental groups. A higher proportion of participants in the intervention groups reported that the screener changed the way they thought about their health at one-day follow-up (27.0%, 36/133) compared to the control group (15.5%, 20/129, P = .02).
Conclusion: This study successfully tested a multivariable electronic health screener in a real-world setting of a busy pediatric ED. The tool did not significantly change risky health behaviors in the adolescent population screened. However, our finding that the intervention changed adolescents’ perceptions of their health opens a door to the continued development of electronic interventions to screen for and target risk behaviors in adolescents in the ED setting.
[West J Emerg Med. 2022;23(6)931–938.]
Nearly six million 15-18-year-olds are evaluated in an emergency department (ED) in the United States annually, 1 and over 8% of 15-17-year-olds rely on the E D for outpatient healthcare visits.2 Adolescents who rely on the ED for healthcare have been found to have higher rates of risk behaviors and mental health needs compared to their peers2-7 and may miss health prevention screening typically completed
during primary care visits.
Emergency clinicians recognize the importance and opportunity for screening health risk behaviors in adolescents such as alcohol and drug use and sexual activity. However, existing barriers in the ED setting limit the ability to screen and implement interventions.7,11 The primary barriers identified include limited time to build the rapport needed to ask sensitive health questions; lack of training in the use of screening
tools; concerns that screening may detract from addressing the patient’s chief complaint; perception that screening is not the responsibility of the emergency clinician; and inadequate resources to address the problems that are identified.7-10
The development of electronic survey technology offers opportunities to efficiently screen adolescents for high-risk behaviors rather than relying on clinician time. Adolescents indicate that they prefer electronic screening over in-person interviews 9,13-16 Electronic screening also offers the opportunity to build in targeted interventions in an individualized manner using internal algorithms. Existing randomized controlled trials of risk-behavior, computer-based interventions with personalized feedback for adolescents in the ED have thus far targeted a singular specific risk behavior as opposed to screening for a range of behaviors. Several of these singular intervention studies have shown promise in reducing risk such as adolescent dating violence17,18 and alcohol abuse.18-20 While reducing any risk behavior is desirable, risk behaviors commonly co-occur;22-24 so, screening for only one risk behavior may be insufficient.
“Check Yourself” is an electronic screening intervention designed to identify and reduce multiple potentially coexisting risky behaviors as outlined by the Bright Futures guidelines,25 including alcohol and drug use, depression, sexual activity, and unsafe driving practices. “Check Yourself” also provides electronic feedback to adolescents about their health behaviors, peer behavioral norms, and tips to reduce risk.26 In three studies in primary care, the intervention was shown to be associated with increased delivery of riskbehavior counseling, and two of the three studies showed short-term (three-month) reductions in reported risk behaviors among adolescents, while one did not show significant reductions in risk compared to controls although both groups demonstrated risk reductions 27,28 .
This randomized controlled trial evaluates the effectiveness of “Check Yourself” in reducing risk behaviors in a population of teens presenting for care in the pediatric ED. We hypothesized the intervention would decrease risky behaviors in adolescents at three-month follow-up compared to usual care.
This study was a randomized controlled trial conducted at a pediatric ED between March 2017–December 2018. The ED is part of an urban, tertiary, free-standing children’s hospital that serves a multi-state region with an estimated 50,000 pediatric patients overall and 8,000 adolescent patient visits per year. The study was approved by a hospital institutional review board and was registered in clinicalstrials.gov (Identifier: NCT03304574).
Adolescent patients (aged 13-18 years) who presented to the ED for care, spoke and read English, and who had
What do we already know about this issue?
Computer-based interventions for adolescents in the ED can reduce risk for individual behaviors. However, risky behaviors commonly co-occur.
What was the research question? Can a multi-behavior focused electronic health assessment with personal feedback decrease risk in adolescents seeking care in the ED?
What was the major finding of the study? The assessment tool with personal feedback did not decrease risky behaviors, but the tool did change perspectives on health.
How does this improve population health? Visits to the ED are an opportunity for adolescent risk-behavior screening. More work is needed to develop tools that encourage behavior change.
an email address or cell phone were eligible for study participation. Exclusion criteria were inability to complete screening due to intellectual disability; acute cognitive impairment due to injury or intoxication; administration of intravenous sedation or pain medications; mental health concern as primary reason for ED visit; or ED visit resulting in hospital admission. Individuals who were admitted to the hospital were excluded from the study due to the potential confounding factors of severity of illness, length of hospital stay, and inpatient, behavioral risk-factor screening on the potential for impacting behavioral change.
All intervention youth completed an electronic health assessment tool with integrated personalized feedback. The tool, “Check Yourself,” was originally designed for use prior to adolescent well-care visits in primary care settings. It takes about 15 minutes to complete and includes recommended screening for key health behaviors based on the Bright Futures guidelines25 (eg, alcohol and drug use, depression, sexual activity, driving safety, helmet use, physical activity, and nutrition). The tool provides integrated, individualized feedback based on motivational strategies such as normative feedback (comparison to peer behaviors and health guidelines); information regarding potential consequences of behaviors; and practical tips to change behavior.
At the completion of the feedback component of the
tool, adolescents were given the option to receive additional online informational resources by email. In two of the three studies conducted in a primary care setting, the tool has been well received by adolescents and healthcare clinicians; and has shown to be associated with short-term (three-month) reductions in reported risk behaviors among adolescents.26,27
In the primary care studies, clinicians also received a one-page printed summary of adolescent-reported risk behaviors alerting the clinician to areas of high and moderate risk to encourage in-clinic counseling. Due to the fast-paced workflow in the ED, results of the risk screening were not provided to the emergency clinician. Instead, the adolescent patient only received integrated feedback with the tool.
The control group received electronic screening only using a similar electronic screening interface. Control youth did not receive any individualized feedback.
Prior to study enrollment, a simple randomization sequence was prepared by a statistician with no clinical involvement in the study with 300 potential allocations per arm. Once enrollment opened, clinical research coordinators (RC) prospectively identified adolescents during their ED visit and invited the patients to participate in the study. After verifying eligibility, adolescents <18 years provided assent and their caregivers gave consent. Adolescents who were 18 years old consented for themselves. After obtaining consent, RCs then used the REDCap (Research Eectronic Data Capture) computer randomization module to allocate participants to the control or intervention arm of the study. The RCs were present in the ED to enroll subjects seven days a week from 1 pm - 11 pm.
To ensure privacy while adolescents were using the computer tablets, caregivers were instructed not to view the tablet or participate in the screening questions. The RCs instructed adolescents not to discuss or share their responses with caregivers. As a safety measure, a flagging system was enacted to promptly notify the ED clinician (at baseline) or study clinicians (at follow-up) when an adolescent endorsed suicidality on the depression screen, regardless of study arm assignment. At baseline, ED procedures for suicidal patients included an evaluation by the ED attending who determined need for further evaluation. If further evaluation was deemed necessary, a mental health professional assessed the participant while in the ED and prior to discharge. For follow-up surveys, study clinicians called participants and conducted a phone interview to assess safety and ensure appropriate follow-up care. This protocol was implemented in the same manner across study arms.
All participants (intervention and control) were asked to complete online follow-up surveys at one day and three months after their initial ED visit. Follow-up periods of one day and three months were chosen due to similar follow-up periods with previous trials of the Check Yourself tool. Online
follow-up surveys were collected using REDCap. (REDCap at the University of Washington Institute of Translational Health Sciences (ITHS) is supported by the National Center for Advancing Translational Sciences of the National Institutes of Health under Award Number UL1 TR002319.) Participants were invited and reminded to complete the survey via short text message notifications, sent by an automated text messaging service (Twilio Inc, San Francisco, CA). The one-day follow-up survey asked adolescents whether the screening and feedback tool had changed the way they thought about their health. The three-month follow-up survey included a reassessment of the same risk behaviors assessed at baseline. Participants received a $10 gift card for each completed survey (up to $30 total).
We used data on brief intervention effects with adolescents from the existing literature (Ozer 2005; Patrick 2001; Werch 2011) to conduct power calculations with PASS 11 (NCSS Statistical Software, Kaysville, UT), assuming twosided statistical tests and P = 0.05. Based on inequality tests for repeated measures designs across means with a withinsubject correlation (rho) = 0.5, a sample size of 150 per arm achieves >0.90 power to detect a difference in mean change of one point in risk-behavior summary.
Overall Risk Score
We calculated an overall risk score based on 13 risk behaviors screened for by the electronic tool including risks ranging from sleep behaviors and exercise to driving under the influence and inconsistent condom use. Ratings for risk behaviors were determined a priori and are consistent with prior studies of this tool.27 We defined high-risk variables as those causing imminent harm such as driving under the influence and were assigned a risk score of 2. Moderate risk variables defined as those that impair health over time but not associated with risk for short-term morbidity or mortality, such as lack of exercise, were assigned a risk score of 1.
We used the Patient Health Questionnaire 2-item to assess for depressive symptoms, using the questions: “Over the last two weeks how often have you been bothered by having little interest or pleasure in doing things?” and “Over the last two weeks how often have you felt down, depressed or hopeless?”32
Variables for substance use included marijuana and alcohol frequency of use over the prior 30 days. Alcohol frequency was calculated by number of days and number of drinks per day. (One drink = one can/bottle of beer, one shot of liquor, one glass of wine).
Sexual behavior risk was a composite variable of frequency of condom and/or birth control use with sex (Table 1).
At one-day post visit follow-up participants were asked if the screener changed the way they thought about their health. We included this variable to further assess the perceived impact of the screening and intervention tool in the ED.
R version 3.6.3 (R Foundation for Statistical Computing, Vienna, Austria) was used for data analysis. We calculated means and standard deviations and conducted bivariate analyses to examine demographic differences (age, race, and
to assess the effects of the intervention on risk behaviors from baseline to three-month follow-up.
We conducted exploratory analyses to assess the intervention effects on specific risk behaviors included in the composite risk variable, such as substance use and inconsistent condom use. In addition to the main outcome measure, we examined the impact of the intervention on individual behaviors. These are behaviors that were deemed to be more acutely impactful on morbidity and mortality in this age group. Definitions for how risk was defined for each of these individual variables is provided below. We used binomial logistic regression for categorical variables and linear regression continuous variables. The control group was the reference group for all statistical models with age, gender identity, and baseline risk included as covariates.
Table 1. Risk behavior change at baseline and three months for control and intervention groups.
Control Group n (%)
Intervention Group n (%) P-value Baseline At 3 mos follow Baseline At 3 mos follow
N = 147 N = 105 N = 149 N = 104
Low fruit/vegetable intake 0-3/day 113 (76.9) 69 (65.7) 119 (80.0) 81 (77.9) .12
High sugary drinks >2/ day 59 (40.1) 46 (43.8) 40 (26.8) 28 (29.6) .057
Low sleep time <8 hours/night 81 (55.1) 66 (62.8) 61 (40.9) 42 (40.4) .0351
Low physical activity 0-3 days/week 55 (37.4) 45 (42.8) 41 (27.5) 28 (26.9) .72
Inconsistent seatbelt use 28 (19.0) 16 (15.2) 21 (14.1) 14 (13.5) .43
Inconsistent bike helmet use 89 (60.5) 52 (49.5) 79 (53.0) 38 (36.5) .11
Ever drives drunk or high 4 (2.7) 2 (1.9) 2 (1.3) 2 (1.9) NA2
Ever texts while driving 22 (15.0) 16 (15.2) 19 (12.8) 18 (17.3) .18
High alcohol use 28 (19.0) 14 (13.3) 19 (12.8) 10 (9.6) .41
High marijuana / other drug use 33 (22.4) 20 (19.0) 22 (14.8) 13 (12.5) .87 Any tobacco Use 14 (9.5) 12 (11.4) 10 (6.7) 7 (6.7) .23
Inconsistent birth control/ condom use 23 (15.6) 14 (13.3) 19 (12.8) 6 (5.8) .0461
High PHQ-2 score >=3 49 (33.3) 35 (33.3) 43 (28.8) 31 (29.8) .84
1Statistical significance set at P<.05. 2NA – statistical tests not performed if baseline data for intervention and control group n<10 PHQ-2, Patient Health Questionnaire 2-item.
gender identity) between the control and intervention groups. Chi-square tests were used for categorical variables and a t-test for continuous variables. The individual risk-behavior variables were constructed, and percentages of risk/no risk for each variable were calculated by treatment group and time period (baseline or three months). We used linear regression
A total of 412 of 493 participants approached were determined eligible for the study. Of those eligible, 296 joined the study, ultimately yielding an acceptance rate of 71.4%. The sample was comprised of 147 adolescents in the control arm and 149 in the intervention arm (Figure 1). The retention rate was
89.1% (262/294) at the one-day follow-up and 71.1% (209/262) at three-month follow-up. The sample consisted of 53% females with a mean age of 15.2 years. Of note, there was a difference in age between the groups (t = 2.44, P=.02) with the control group being significantly older (mean = 15.4 years) than the intervention group (mean =15.0 years) (Table 2).
36/133) compared to the control group (15.5%, 20/129), controlling for age and gender (odds ratio 2.12; 95% confidence interval 1.14 - 4.03; P =.02).
This randomized clinical trial tested an electronic health assessment with individualized feedback for risk behaviors in adolescents seeking care in a pediatric ED. This study is unique as it was a large, randomized trial of a brief, multirisk eHealth intervention with individualized feedback for
Ineligible: (47)
MD refused: 17 Admitted: 1
No caregiver present: 16
Incapable of assent: 1
Previously enrolled: 2
Limited English proficiency: 2 Other: 8 Declined: (110) Adolescent declined: 50 Parent declined: 41
Both declined: 9 Unknown: 10
Withdrawn: Intervention 2 Control 4 Reasons for withdrawal: parent request; invalid/missing study ID number; missing baseline data
1 day follow up 133 1 day follow up 129
3 month follow up 104
3 month follow up 105
Prevalence of individual risk behaviors used to create the Figure 1. Flow diagram of study participant enrollment, allocation, follow-up and analysis. MD, Doctor of medicine; ID, identification.
Missed by Research Staff: (34)
1 day completion: 88.5% (262/296)
3 month completion: 70.6% (209/296)
overall risk variable are presented in Table 1. The overall risk score mean at baseline was 5.87 (SD = 3.66) in the control group and 4.79 (SD = 3.66) in the intervention group. At three-month follow-up the overall mean risk score was 5.96 (SD = 3.43) for the control group and 4.42 (SD = 3.41) for the intervention group. Controlling for age, gender, and baseline risk score, we found no significant difference in reduction of risk for the intervention group compared to the control.
In an exploratory analysis of individual risk behaviors, there were no differences found between control and intervention groups at three-month follow-up for depression, marijuana use, alcohol use, or sexual behavior risk (Table 1).
A higher proportion of participants in the intervention groups reported that the screener changed the way they thought about their health at one-day follow-up (27.0%,
adolescents in the ED. Although we found no difference in reduction of overall risk score between intervention and control groups at three months, participants reported the intervention changed the way they thought about their health.
The “Check Yourself” tool was first tested in primary care settings where primary care physicians were provided a printout of their patient’s risk behaviors to facilitate discussion of preventive health at the visit.27 The setting for our study was a busy, fast-paced ED where clinicians focused on addressing the chief complaint and not on discussing preventive health. The emergency clinicians were not provided a print-out of risk behaviors nor were they expected to address health prevention topics; thus, this study in effect tested the brief eHealth feedback as a stand-alone intervention.
To assess for the intervention’s impact on risk behaviors that may be more commonly encountered in the ED, we performed an exploratory analysis on the outcomes of risk for marijuana use, alcohol use, depression, and risky sexual behavior. These risk behaviors were not decreased in the
Table 2. Demographic characteristics of study population.
Control Intervention Total N = 1451 N = 149 N = 294
Age, mean (SD) 15.4 (1.6) 15.0 (1.5)2 15.2 (1.6)
Gender, n (%)
Female 75 (51.7) 81 (54.4) 156 (53.1)
Male 70 (48.3) 67 (44.9) 137 (46.6)
Other 0 1 (0.7) 1 (0.3)
Race/Ethnicity, n (%)
White 79 (54.5) 90 (60.4) 169 (57.6)
Multiracial/other 32 (22.1) 27 (18.1) 59 (20.1)
Black 16 (11.0) 10 (6.7) 26 (8.8)
Hispanic 13 (9.0) 7 (4.7) 20 (6.8)
Asian 3 (2.1) 10 (6.7) 13 (4.4)
Hawaiian / Pacific Islander 2 (1.4) 4 (2.7) 6 (2.0)
Native American 0 (0.0) 1 (0.7) 1 (0.3)
1N = 147 with 2 participants missing demographic data. 2P<0.02.
intervention group compared to the control group at threemonth follow-up. There was a significant difference between groups at one-day follow-up with more intervention participants reporting that the “Check Yourself” tool impacted the way they thought about their health than those in control group, indicating a perceived attitudinal shift that merits further study.
Most risk behavior intervention studies in EDs target a single risk behavior,7 whereas the intervention in this study targeted 13 health behaviors. This may have diffused the impact on any one behavior affecting health. In addition, adolescents in the ED may be preoccupied by their reason for seeking care and less invested in learning about risks that are secondary to their presenting concerns. However, the literature supports that adolescents are open to risk-behavior screening in the ED regardless of their chief complaint. Studies have found acceptability for both specific risk behaviors such as substance abuse;15 pregnancy prevention;33 sexually transmitted infection risk;34-36 depression;37 suicidality;38 and for comprehensive screening across a battery of five risk behaviors (substance use, violence, depression, human trafficking, and access to firearms).39
Risk behavior screening in the ED is an important tool for adolescent health as it can reach a population that does not frequently access preventive healthcare. Such screening has increased the identification of substance abuse, post-traumatic stress, depression, and suicidality.40-43
Similar to our intervention, several studies have included brief, targeted interventions for behavioral change specifically for adolescent dating violence17-18 and alcohol abuse.18-20 Unlike these studies, however, our intervention assessed and provided feedback on a wide variety of behavioral risk factors, rather than more streamlined
singular behaviors or areas as targets. As the screening was broader, the intervention itself required brevity to fit the time constraints of an ED visit. The difference in outcomes of our electronic screening and intervention tool compared to more focused interventions suggests that the use of multivariable screening and feedback may not be as successful of an intervention on youth behaviors as targeted screening and feedback focusing on one achievable goal.
This study has several limitations. The intervention targeted health behaviors with both long-term implications and those with more immediate health consequences. Overall, our study population had low prevalence of risky behaviors compared to the general population screened in the national Youth Risk Behavioral Surveillance System (YRBS) with the exception of depression, which was similar to the YRBS.21 These prevalence differences may limit the generalizability of the study. Youth in the ED may have been more concerned about the reason for their acute visit rather than those behaviors addressed in the intervention. Unlike the primary care trial of the “Check Yourself” tool, this intervention did not include discussion with a healthcare clinician, and thus may not have had as much impact. While there was a significant finding of the intervention impact in how adolescents perceived their health, there were no follow-up questions to understand the specifics on how their beliefs changed.
This study successfully tested a multi-variable electronic health screener in a real-world setting of a busy pediatric ED. We were able to implement screening and feedback for
health behaviors into typical ED workflow without adding to the workload of clinicians. The “Check Yourself” tool did not significantly change health behavior risks in the adolescent population screened. However, based on our one-day follow-up, our intervention did show an impact on how adolescents perceive their health, opening a door to the continued development of electronic interventions to screen for and target risk behaviors in adolescents in the ED setting. Future studies should focus interventions designed for specific risk behaviors with more depth that could result in more immediate healthy changes and health consequences.
This work was supported by an Academic Enrichment Fund through a large Seattle Children’s Hospital grant [grant number 24080058].
choices: an opportunity for behavioral intervention. J Health Care Poor Underserved. 2015;26(3):701-11.
7. Chun TH, Duffy SJ, Linakis JG. Emergency department screening for adolescent mental health disorders: the who, what, when, where, why and how it could and should be done. Clin Pediatr Emerg Med 2013;14(1):3-11.
8. Habis A, Tall L, Smith J, et al. Pediatric emergency medicine physicians’ current practices and beliefs regarding mental health screening. Pediatr Emerg Care. 2007;23(6):387–93.
9. Miller MK, Mollen C, Behr K, et al. Development of a novel computerized clinical decision support system to improve adolescent sexual health care provision. Acad Emerg Med 2019;26(4):420-33.
10. Shafii T, Rivara FP, Wang P, et al. Screening adolescent patients admitted to the trauma service for high-risk behaviors: who is responsible? J Trauma. 2009;67(6):1288-92.
Address for Correspondence: Siobhan Thomas-Smith, MD, University of Washington, Department of Pediatrics, 4800 Sand Point Way NE, Seattle, Washington 98105. Email: siobhanthomassmith@gmail.com.
Conflicts of Interest: By the WestJEM article submission agreement, all authors are required to disclose all affiliations, funding sources and financial or management relationships that could be perceived as potential sources of bias. No author has professional or financial relationships with any companies that are relevant to this study. There are no conflicts of interest or sources of funding to declare.
Copyright: © 2022 Thomas-Smith et al. This is an open access article distributed in accordance with the terms of the Creative Commons Attribution (CC BY 4.0) License. See: http:// creativecommons.org/licenses/by/4.0/
11. Irwin CE, Adams SH, Park MJ, et al, Preventive care for adolescents: few get visits and fewer get services. Pediatrics. 2009;123(4)e56572.
12. Miller MK, Champassak S, Goggin K, et al. Brief behavioral intervention to improved adolescent sexual health: a feasibility study in the emergency department. Pediatr Emerg Care. 2016;32(1):1-7.
13. Jasik CB, Berna M, Martin M, et al. Teen preferences for clinicbased behavior screens: who, where, when, how? J Adolesc Health 2016;59(6):722-4.
14. Ranney ML, Choo EK, Wang Y, et al. Emergency department patient’s preferences for technology-based behavioral interventions. Ann Emerg Med 2012;60(2):218-27.
15. Vaca F, Winn D, Anderson C, et al. Feasibility of emergency department bilingual computerized alcohol screening, brief intervention, and referral to treatment. Subst Abus. 2010;31:264-9.
1. McDermott KW, Stocks C, Freeman WJ. Overview of Pediatric Emergency Department Visits, 2015. In: Healthcare Cost and Utilization Project (HCUP) Statistical Briefs. Rockville (MD): Agency for Healthcare Research and Quality (US); August 7, 2018.
2. Schlichting LE, Rogers ML, Gjelsvik A, et al. Pediatric emergency department utilization and reliance by insurance coverage in the United States. Acad Emerg Med. 2017;24:1483-90.
3. Winkelman TNA, Genao I, Wildeman C, et al. Emergency department and hospital use among adolescents with justice system involvement. Pediatrics. 2017;140(5):1-9.
4. Aalsma MC, Anderson VR, Schwartz JD, et al. Preventive care utilization among justice-involved and non-justice involved youth. Pediatrics. 2017;140(5):1-15.
5. Bonar EE, Walthon MA, Caldwell MT, et al. Sexually transmitted infection history among adolescents presenting to the emergency department. J Emerg Med. 2015;49(5):613-22.
6. Chandler I, Rosenthal L, Carroll-Scott A, et al. Adolescents who visit the emergency department are more likely to make unhealthy dietary
16. Stevens J, Kelleher KJ, Gardner W, et al. Trial of computerized screening for adolescent behavioral concerns. Pediatrics 2008;121(6):1099-105.
17. Cunningham RM, Whiteside LK, Chermack ST, et al. Dating violence: outcomes following a brief motivational interviewing intervention among at-risk adolescents in an urban emergency department. Acad Emerg Med. 2013;20(6):562-9.
18. Walton MA, Chermack ST, Shope JT, et al. Effects of a brief intervention for reducing violence and alcohol misuse among adolescents: a randomized controlled trial. JAMA 2010;304(5):52735.
19. Walton MA, Chermack ST, Blow FC, et al. Components of brief alcohol interventions for youth in the emergency department. Subst Abus. 2015;36(3):339-49.
20. Suffoletto B, Callaway C, Kristan J, et al. Text-message-based drinking assessments and brief interventions for young adults discharged from the emergency department. Alcohol Clin Exp Res 2012;36(3):552-60.
21. Kann L, McManus T, Harris WA, et al. Youth Risk Behavior Surveillance - United States, 2017. MMWR Surveill Summ 2018;67(8):1-114.
22. Riskind RG, Tornello SL, Younger BC, et al. Sexual identity, partner gender, and sexual health among adolescent girls in the United States. Am J Public Health. 2014;104(10):1957-63.
23. Sterrett EM, Dymnicki AB, Henry D, et al. Predictors of co-occurring risk behavior trajectories among economically disadvantaged AfricanAmerican youth: contextual and individual factors. J Adolesc Health. 2014;55(3):380-7.
24. De Winter AF, Visser L, Verhulst FC, et al. Longitudinal patterns and predictors of multiple health risk behaviors among adolescents: The TRAILS study. Prev Med. 2016;84:76-82.
25. AAP Committee on Practice and Ambulatory Medicine and AAP Bright Futures Periodicity Schedule Workgroup. 2017 Recommendations for Preventive Pediatric Health Care. Pediatrics. 2017;139(4):e20170254.
26. Zieve GG, Richardson LP, Katzman K, et al. Adolescents’ perspectives on personalized e-feedback in the context of health risk behavior screening for primary care: qualitative study. J Med Internet Res. 2017;19(7):1-11.
27. Richardson LP, Zhou C, Gersh E, et al. Effect of electronic screening with personalized feedback on adolescent health risk behaviors in a primary care setting; a randomized clinical trial. JAMA Netw Open 2019;2(5):e193581.
28. McCarty CA, Parker E, Zhou C, et al. Electronic screening, feedback, and clinician training in adolescent primary care: a stepped-wedge cluster randomized trial. J Adolesc Health. 2022;70(2):234-40.
29. Ozer EM, Adams SH, Lustig JL, et al. Increasing the screening and counseling of adolescents for risky health behaviors: a primary care intervention. Pediatrics. 2005;115(4):960-8.
30. Patrick K, Sallis JF, Prochaska JJ, et al. A multicomponent program for nutrition and physical activity change in primary care: PACE+ for adolescents. Arch Pediatr Adolesc Med. 2001;155(8):940-6.
31. Werch CE, Bian H, Carlson JM, et al. Brief integrative multiple behavior intervention effects and mediators for adolescents. J Behav Med. 2011;34(1):3-12
32. Richardson LP, Rockhill C, Russo JE, et al. Evaluation of the PHQ-2 as a brief screen for detecting major depression among adolescents.
Pediatrics. 2010;125(5):e1097-e1103.
33. Solomon M, Badolato GM, Chernick LS, et al. Examining the role of the pediatric emergency department in reducing unintended adolescent pregnancy. J Pediatr. 2017;189:196-200.
34. Ahmad FA, Jeffe DB, Plax K, et al. Characteristics of youth agreeing to electronic sexually transmitted infection risk assessment in the emergency department. Emerg Med J. 2018;35(1):46-51.
35. Goyal MK, Shea JA, Hayes K, et al. Development of a sexual health screening tool for adolescent emergency department patients. Acad Emerg Med. 2016;23(7):809-15.
36. Goyal MK, Teach SJ, Badolato GM, et al. Universal screening for sexually transmitted infections among asymptomatic adolescents in an urban emergency department: high acceptance but low prevalence. J Pediatr. 2016;171:128-32.
37. Ranney ML, Freeman JR, Connell G, et al. A depression prevention intervention for adolescents in the emergency department. J Adolesc Health. 2016;59(4):401-10.
38. Ballard ED, Bosk A, Snyder D, et al. Patients’ opinions about suicide screening in a pediatric emergency department. Pediatr Emerg Care 2012;28(1):34-8.
39. Langerman SD, Badolato GM, Rucker A, et al. Acceptability of adolescent social and behavioral health screening in the emergency department. J Adolesc Health 2019;65:543-8.
40. Boudreaux ED, Camargo CA, Arias SA, et al. Improving suicide risk screening and detection in the emergency department. Am J Preven Med. 2016;50(4):445-53.
41. Ballard ED, Cwik M, Van Eck K, et al. Identification of at-risk youth by suicide screening in a pediatric emergency department. Prev Sci 2017;18:174-82.
42. Fein AJ, Pailler ME, Barg FK, et al. Feasibility and effects of a webbased adolescent psychiatric assessment administered by clinical staff in the pediatric emergency department. Arch Pediatr Adolesc Med. 2010;164(12):1112-7.
43. Spirito A, Bromberg JR, Casper C, et al. Reliability and validity of a two-question alcohol screen in the pediatric emergency department. Pediatrics. 2016;138(6):1-10.
Alexander T. Bradley, MD*
Jeremy A. Adler, MD*
Daniel M. Curtis, MD†
Darlington Nwaudo, MD*
Matthew J. Gayed, MD‡
Sara J. Wallace, MD*
Aravind Athiviraham, MD*
Section Editor: Juan F. Acosta, DO, MS
* † ‡
University of Chicago Medicine, Department of Orthopedic Surgery, Chicago, Illinois Stanford University, Department of Orthopedic Surgery, Palo Alto, California University of Chicago Medicine, Department of Radiology, Chicago, Illinois
Submission history: Submitted February 14, 2022; Revision received July 25, 2022; Accepted August 22, 2022 Electronically published October 24, 2022 Full text available through open access at http://escholarship.org/uc/uciem_westjem DOI: 10.5811/westjem.2022.8.56453
Introduction: The purpose of this study was to assess the added clinical value of oblique knee radiographs four-view (4V) compared to orthogonal anteroposterior (AP) and lateral radiographs in a two-view (2V) series.
Methods: We obtained 200 adult, 4V knee radiographs in 200 patients in the ED and randomly divided them into two groups with 100 series in each group. Ten reviewers — three musculoskeletal radiologists and seven orthopedic surgeons — performed radiograph analyses. These reviewers were randomly divided evenly into group one and group two. Reviewers were blinded to patient data and first reviewed 2V radiographs (AP/lateral) only, and then reviewed 4V radiographs, including AP/lateral, and two additional oblique views for the same patients at least four weeks later. Acute pathology identification and the need for further imaging was assessed for all reviewers, and clinical decisionmaking (operative vs nonoperative treatment, need for admission, need for additional imaging) was assessed only by the seven orthopaedic surgeon reviewers.
Results: Mean sensitivity for pathology identification was 79% with 2V and 81% with 4V (P =0.25). Intra-observer kappa value was 0.81 (range 0.54-1.00). Additional oblique radiographs led orthopaedic reviewers to change their treatment recommendations in 62/329 patients (18.84%) (P <0.001). Eight of 329 radiographic series were identified as “critical misses.” (2.43%) (P =0.004), when pathology was reported as normal or reviewers recommended nonoperative treatment on 2V radiographs but changed their recommendation to operative management after the addition of oblique radiographs. The number needed to treat (NNT) for any treatment change and for “critical misses” was 83 and 643, respectively.
Conclusion: Although the addition of oblique radiographs may improve a clinician’s ability to identify subtle pathologic findings not identified on 2V, it rarely leads to significant changes in treatment recommendations. Given the high NNT, limiting the usage of these oblique radiographs in the general patient population may reduce costs without significantly affecting patient care. [West J Emerg Med. 2022;23(6)939–946.]
Patients commonly present to the emergency department (ED) with a chief complaint of knee pain with over 1.3 million
visits each year in the US alone.1 These patients are often rapidly triaged, and many of them receive a radiographic examination with a four-view (4V) series, including
anteroposterior (AP), lateral, and oblique radiographs as part of the initial work-up. However, there is a low overall yield for pathology identification in this population.2-4 The proposed benefit of additional oblique radiographs is an improvement in identification and classification of patellar and tibial plateau fractures.5 Furthermore, radiographs are generally accepted as a safe and inexpensive way to evaluate patients. However, obtaining additional radiographs beyond the two orthogonal views (AP and lateral) increases radiation exposure to patients and can lead to potentially unnecessary costs.6
Among ED patients who receive knee radiographs, the rate of pathology detection is low with estimates between 5.2-7.6%.7 Previous authors have attempted to improve the diagnostic yield of these radiographs by implementing clinical decision rules, such as the Ottawa and Pittsburgh knee rules, to minimize unnecessary radiogcraphs.4,8 However, the use of and compliance with these rule-based radiographic selection criteria are poor.9 Separately, the addition of oblique views as a standard component of initial knee imaging is shown to only mildly improve diagnostic sensitivity.4 Nevertheless, previous evaluations of oblique radiographs and clinical decision rules have focused almost exclusively on pathology identification rather than the effect of these additional imaging studies on treatment decisions.1,4-5,7-9 The purpose of this study was to evaluate whether the inclusion of oblique knee radiographs obtained as part of a standard 4V knee series in the emergency department (ED) setting would improve pathology identification and influence the clinical decision making for these patients.
We hypothesized that while the 4V radiographic series may improve pathology detection compared to the two-view (2V) radiographic series, the additional oblique radiographs would not lead to significant changes in clinical management, as determined by a team of orthopedic surgeons.
We performed a retrospective cohort study, level III evidence. Following institutional review board approval, 200 series of adult 4V knee radiographs obtained in the ED between 2010-2018 were generated from an internal radiology database using an alphanumeric report search tool and specific keywords (Appendix A). This search tool selected either positive (acute pathology) or normal (no acute pathology) radiographic series. We used an eight-year period to limit any temporal confounding from specific personnel behaviors or institutional policies that may have existed or changed over that time. Radiology reports, determined to be the reference standard, were used to determine which series contained acute pathology.
Of the 200 series there were 93 positive and 107 normal radiology reports, and these series were then randomly divided into two groups of 100 series each. The first (Group 1) included 43 positive radiographs, and the second (Group 2) included 50 positive radiographs. Five clinicians were randomly assigned to each group. Group one
What do we already know about this issue?
Over 1.3 million people each year present to the emergency department (ED) with knee pain and receive a four-view series of radiographs despite the low yield for pathology identification.
What was the research question? Does the addition of orthogonal knee radiographs in the acute setting lead to significant changes in clinical management?
What was the major finding of the study?
Orthogonal radiographs slightly increase pathology identification from 79 to 81%, but rarely (NNT for critical misses 643) change operative and nonoperative treatment plans.
How does this improve population health? More discretionary imaging may reduce costs without harming patient care.
consisted of three orthopedic attendings or trainees and two musculoskeletal radiology attendings or fellows. Group two consisted of four orthopedic attendings or trainees and one musculoskeletal radiology fellow. While these reviewers did not include emergency physicians, we assumed that pathology identification between musculoskeletal radiologists, orthopedic surgeons, and emergency physicians should not significantly differ between groups.
All reviewers were blinded to patient data, including clinical information, such as physical examination and history. Reviewers first evaluated AP and lateral knee radiographs (2V), and then after a time delay they reviewed AP, lateral, and oblique radiographs (4V) for the same patients. There was a minimum four-week delay between 2V and 4V analysis for all reviewers. After both 2V and 4V evaluation, all reviewers were asked to determine whether acute pathology was present and whether further imaging was required based on the available imaging only (Table 1). For orthopedic surgery reviewers only, we assessed clinical decision-making by requesting a treatment plan or management based on the radiographic findings. Management options included operative vs nonoperative treatment, hospital admission vs outpatient follow-up, or the need for additional imaging (Table 1). Using the final radiologist interpretation found in the patient’s chart, we assessed our reviewer’s abilities to accurately identify acute bony or soft tissue pathology.
We performed statistical analysis using an intra-rater reliability with Cohen kappa analysis between the 2V and 4V
Table 1. Survey format and questions asked for each review of two-view and four-view knee radiographs.
Survey question Possible answers
Questions to both musculoskeletal radiologists and orthopedic surgeons
Acute fracture or pathology identified?
1) Yes 2) No
Further imaging required? 1) CT 2) MRI 3) XRs 4) Other Imaging 5) None
Questions to only the orthopedic surgeons
Treatment plan or management indicated?
1) Observation only 2) Nonoperative + Discharge 3) Operative + Discharge + Follow-up for Outpatient Surgery
3) Operative + Requires Admission
4) Further Imaging Required
CT, computed tomography; MRI, magnetic resonance imaging; XR, radiograph.
radiographs as well as a sensitivity analysis for each reviewer. Differences in pathology identification were assessed using Student t-test to detect statistically significant differences in mean values. Differences in clinical decision-making were analyzed using a one-tailed Fisher exact test. We assessed the number needed to treat (NNT) as the inverse of the absolute risk reduction from the addition of the oblique radiographs. Given the size of our study, clinical significance was set at P <0.05.10
There was an average of 64.0 days (9.14 weeks) between completion of 2V and 4V analysis for the 10 reviewers. Mean sensitivity for pathology identification was 0.794 with 2V and .811 with 4V (P = 0.25). The intra-observer kappa value from 2V to 4V was 0.81 and ranged from 0.54 to 1 (Table 2). There were 33/1000 (3.3%) radiographic series where reviewers reported no pathology on 2V but identified acute pathology on 4V series, which we interpreted as a false negative result on the initial evaluation. Of the 33 false negatives on 2V evaluation, there were eight patella fractures (24.24%) and 16 tibial plateau fractures (48.48%). The remaining nine series were reported to have either a patellar tendon injury, tibial spine fracture, distal femur fracture, or a bone infarct.
In group one, there was a total of 43/100 positive radiograph series assessed by three orthopedic surgeons (n = 129). In group two, there were a total of 50/100 positive radiograph series assessed by four orthopedic surgeons (n = 200). In total, the seven orthopedic attendings/trainees reviewed 329
Table 2. Comparison of diagnostic performance.
Reviewers
Sensitivity†
2-View 4-View Sensitivity†
2-View 4-View
Cohen intraobserver kappa statistic
1 0.86 0.74 0.90 1.00 0.89
2 0.86 0.81 0.90 1.00 0.83
3 0.84 0.88 0.89 1.00 0.81
4 0.91 0.91 0.93 1.00 0.98
5 0.84 0.88 0.89 0.98 0.83
6 0.84 0.86 0.85 0.96 0.68
7 0.74 0.74 0.78 1.00 0.81
8 0.68 0.86 0.75 0.86 0.54
9 0.72 0.72 0.75 0.86 1.00
10 0.66 0.69 0.75 0.96 0.78
Mean 0.79 0.81 0.84 0.96 0.81
† P =.251, comparing means of sensitivity.
‡ P <0.001, comparing means of specificity.
radiographic series with acute pathology, 129 in group one and 200 in group two. In 12/329 series (3.65%), reviewers recommended outpatient operative intervention based on 2V but changed their recommended clinical treatment plan to nonoperative management after the addition of oblique radiographs. There were 14/329 positive series (4.26%) where reviewers recommended further imaging after 2V but recommended nonoperative management after the addition of oblique radiographs. In 8/329 series (2.43%), the reviewer recommendation changed from nonoperative to operative management based on additional oblique radiographs (Table 3). In total, there were 62/329 series (18.84%) reviewed that experienced a change in their treatment plan after the inclusion of oblique radiographs (P <.001) (Table 3). Therefore, based on the general patient population knee radiograph pathology rate of 6.4%7, the calculated NNT for there to be a change in treatment plan was 83.
We identified patients as “critical misses” if the reviewer reported normal radiographs on 2V analysis but with the addition of oblique radiographs recommended inpatient or outpatient surgical intervention, which occurred in 4/329 (1.21%) series (Figures 1A and 1B). A “critical miss” also included series where acute pathology was correctly identified but nonoperative treatment was recommended after 2V and then transitioned to operative management after the addition of oblique radiographs. This occurred in 4/329 (1.21%) series, (Figures 2A and 2B), resulting in a total of eight “critical misses” (2.43%) in this study (Figure 3). The NNT to identify a “critical miss” was 643. For these patients, the addition of oblique radiographs significantly improved identification of “critical misses” as compared to a null hypothesis of no “critical misses” (P = .004).
Table 3. Changes in management after the addition of oblique radiographs. 2-Views 4-Views Number of changes % of positive radiographs Radiology report
Nonoperative / missed Operative 8 2.43% Patella fracture (4) Tibial plateau fracture (3) Distal femur fracture (1) Nonoperative Further imaging 9 2.74% Tibial plateau fracture (8) Distal femur fracture (1)
Further imaging Nonoperative 14 4.26% Patella fracture (4) Tibial plateau fracture (1) Distal femur fracture (2) Bone infarct/lesion (2) Proximal fibula fracture (4) Segond fracture (1) Further imaging Operative 7 2.13% Patella fracture (1) Patellar tendon injury (1) Tibial plateau fracture (2) Distal femur fracture (1) Proximal fibula fracture (1) Tibial spine fracture (1)
Operative (discharge and follow-up outpatient) Operative (admit to hospital) 4 1.22% Tibial plateau fracture (4)
Operative (admit to hospital) Operative (discharge and follow-up outpatient)
1 0.30% Tibial plateau fracture (1)
Operative Further imaging 7 2.13% Patellar tendon injury (1) Tibial plateau fracture (5) Proximal fibula fracture (1) Operative (discharge and follow-up outpatient) Nonoperative 12 3.65% Patella fracture (3) Patellar tendon injury (6) Tibial plateau fracture (2) Tibial spine fracture (1)
Total number of treatment plan changes 62 18.84%†
Missed pathology Operative 4 1.22% Patella fracture (2) Tibial plateau fracture (1) Distal femur fracture (1) Nonoperative Operative 4 1.22% Patella fracture (2) Tibial plateau fracture (2)
Total number of critical misses 8 2.43%‡ † P <.001 ‡ P =.004
In this study we evaluated whether the addition of oblique radiographs can improve the efficacy of pathology identification as well as alter clinical treatment plans. Our data demonstrates a trend toward increased pathology identification with the addition of oblique radiographs, but the 4V radiographic series failed to demonstrate a statistically significant increase in sensitivity. There were 62/329 positive radiographic series that experienced a change in the expected treatment plan after reviewers evaluated the additional oblique
radiographs, which had the potential to alter patient care, but only eight of those radiographic series underwent the critical transition from missed pathology to operative treatment or nonoperative to operative treatment.
Cockshott et al first discussed the benefit of additional radiographs for patients suffering knee trauma and an effusion when no acute pathology was identified on initial orthogonal radiographs.11 Soon after, in 1987 Daffner et al described oblique radiographs of the knee providing a more detailed evaluation of the patella by removing the projection overlap
Figure 1. (A) Orthogonal radiographs (two-view) of one “critical miss” that was initially unidentified on orthogonal radiographs and then later identified as requiring operative management with the supplement of oblique radiographs. Seen to have a distal femoral metaphysis fracture. (B) Oblique radiographs (four-view component) of one “critical miss” that was not identified on orthogonal radiographs and then later identified as requiring operative management with the supplement of oblique radiographs. Seen to have a distal femoral metaphysis fracture.
from the femur and any tibial plateau abnormalities.12 While additional radiographic views or tests should expectedly improve detection, the added value of these studies must be assessed against potential costs, clinical or economic, that the studies incur. Furthermore, depending on the suspected injury, there may be more beneficial imaging that targets the suspected location or type of injury, including a caudal tilt plateau view for tibial plateau fractures or an escalation to cross-sectional imaging.13-15
A B
Figure 2. (A) Orthogonal radiographs (two-view) of one “critical miss” that was initially recommended to be best managed with nonoperative treatment but then later was recommended for operative management with the addition of oblique radiographs. Seen to have a lateral tibial plateau fracture. (B) Oblique radiographs (four-view component) of one “critical miss” that was initially recommended to be best managed with nonoperative treatment but then later recommended for operative management with the addition of oblique radiographs. Seen to have a lateral tibial plateau fracture.
Despite the frequency of knee radiograph utilization in the acute setting, the positive finding rate in practice remains quite low, near 1 in 16.7 The value of incorporating physical examination as part of the initial evaluation prior to radiographic evaluation cannot be overstated; however, these radiographic images are often obtained prior to orthopedic surgeon or emergency physician involvement as part of the initial evaluation by a triage nurse or in an effort to expedite care. Given the low probability of acute findings, one option is to use a rule-based system to identify high-risk patients requiring radiographs in an effort to raise the yield of these studies.16 To this end, the Ottawa and Pittsburgh knee rules were developed as an alternative to reflexive knee
Figure 3. Assessment of the percentage of positive radiographs that experienced a change in treatment recommendation with the addition of oblique radiographs, including patients whose injuries were missed on initial orthogonal two-view radiographs and then went on to be recommended for surgery.
transitioning from further imaging required to operative management. Given the high NNT (643), identifying these “critical misses” can require considerable resources, which should be weighed against the clinical and economic cost of failing to identify these patients on initial presentation.
While the economic cost of a single radiograph varies greatly based on hospital and location, Medicare quotes reimbursement at $112 for a single radiograph, amounting to an additional $224 for the combined oblique radiographic views per patient.28 Combining this with the NNT, 83 patients to identify a treatment change and 643 patients to identify a “critical miss,” these radiographs could lead to $18,592 and $144,032 in additional costs, respectively. These numbers should be evaluated from the baseline that for every single positive knee radiograph series in the acute setting, there are 15 normal radiograph series.7 On the contrary, there may be an economic cost not accounted for in the prior estimation from a reduction in efficiency for the additional radiographs that slows the ED workflow, specifically if a patient is initially only sent for orthogonal radiographs but then requires oblique radiographs or other imaging. But this value is hard to quantify and depends greatly on hospital-specific resources.
radiographic imaging for all patients presenting with acute knee trauma. The Ottawa knee rules have been shown to have high sensitivity (84.6-100%, with 7 of 11 = 100%, and 9 of 11 ≥96.6%), but low specificity (19.1-52.0%, with 7 of 11 ≥41.6%)1,17-26 with Nichol et al demonstrating a $31-$34 savings per patient in 1999.6 The Pittsburgh knee rules are less widely validated but have been shown to have a similarly high sensitivity (99-100%) and improved specificity (60-80%).8,24 Despite their demonstrated value, these decision rules are not widely used during clinical decision-making.9,27 The failure to limit the number of radiographs using these rule-based approaches may stem from a fear of legal action for missed diagnoses if physicians don’t include objective evaluations such as imaging studies in their work-up.
A separate approach to limiting unnecessary radiographic imaging is to examine the effects of additional radiographic views on clinical treatment plans rather than solely evaluating pathology identification. With the addition of oblique radiographs, the percentage of patients with positive radiographs who experienced changes to their treatment plans was 18.84%. Many of these treatment plan changes would not result in delayed or ineffective care, but it is possible that a minority of patients could suffer interval fracture displacement if not properly immobilized or if given inappropriate weightbearing instructions. If patients are told they have no injury on their radiographs, they may be less likely to follow up and this could also result in a delay of care. There were 8/329 positive radiograph series reviewed (2.43%) with more clinically important “critical misses,” including missed pathology identification (4 of 329) or inappropriate treatment plans (4 of 329), with an additional 7/349 radiographs reviewed (2.13%)
The cost of a delayed diagnosis or treatment for a patella fracture or tibial plateau fracture (the injuries most commonly identified on oblique radiographs) has not been well studied in the literature. Patella fractures can be treated nonoperatively when the extensor mechanism remains intact and there is minimal fracture displacement.29-32 For patients with orthogonal radiographs that do not easily demonstrate acute pathology, minimal fracture displacement would be expected, and delayed-diagnosis morbidity and cost may remain low since these patients may undergo nonoperative treatment. However, these patients often benefit from a period of temporary immobilization, which they may not receive with a missed radiographic diagnosis.29-32 This ultimately remains dependent on the specific clinician’s suspicion and examination not accounted for in this study, as the combination of radiographic studies and physical examination guides clinical decision-making.
Tibial plateau fractures may be associated with greater potential morbidity from a delayed diagnosis due to potential complications from associated soft tissue or neurovascular injuries, as well as fracture displacement potentially transitioning a nonoperative fracture to one that requires surgery. However, if a patient has a tibial plateau fracture that is difficult to visualize, it may be amenable to nonoperative treatment with bracing and limited weight-bearing.33-35 It is important to consider that the radiographs alone lack the crucial physical examination component, which aids in the diagnosis and treatment selection not included in this evaluation.
Separately, there is concern about the radiation from the additional radiographic views. A typical knee radiograph imparts 0.005 millisievert (mSv) for an adult, equivalent to nearly 1/120th of an AP pelvis radiograph or 1/1400th of a
computed tomography chest (~7mSv).36-37 In another context, a flight at 35,000 feet produces 0.005 mSv radiation every hour.37 While it is beneficial to avoid radiation whenever possible due to its cumulative effects, the added radiation from two additional knee radiographs is minimal compared to other medical examinations that patients often undergo.
There are several limitations to our study that should be considered. First, this is a survey-based study of clinical experts or advanced trainees in their respective fields, but it lacked physical examination of patients, an essential component of the clinical evaluation and decision-making process. The physical examination may have offered valuable insight as to where to assess the radiographs for injury and what treatment to recommend. Second, the images provided to the reviewers were static, without the ability to alter contrast, and they may have varied in their quality of alignment without an option to obtain better radiographs, further limiting the ability to evaluate the desired anatomy. However, the quality of the radiographs obtained is often limited in the acute setting, so this may reflect normal clinical practice. Third, the evaluation was limited to a single medical center, the quality of the radiographs and radiology technicians may vary between locations, which may alter the physician’s ability to interpret the resultant imaging.
Fourth, the rate of acute pathology on our radiographs is much higher than the normal rate seen in practice. We strategically chose this higher rate of positive knee radiographs to limit the number of images the clinicians needed to review. With the inclusion of ≥50% normal radiographs for each group, we believe the integrity of radiographic assessment was maintained, as reviewers were unaware of the breakdown of positive and normal radiographs for each group. Fifth, each clinician may have slightly different clinical decision-making regarding operative and non-operative treatment, which could influence the decision for conservative or operative interventions. This should have a limited effect in this study, as changes in care based on the addition of oblique radiographs provided here were compared to each single clinician’s earlier review of the orthogonal radiographs, not to other clinicians’ evaluations. Lastly, these patients represented all patients presenting to the ED in evaluation for knee pain and were not exclusively trauma patients. While this reproduces normal workflows within our hospital, it may limit applicability of these results in certain patient populations that may have higher or lower concern for radiographically identifiable pathology.
Oblique knee radiographs that are routinely obtained in the acute setting have been shown to potentially increase the sensitivity of pathology identification. While increased pathology identification may alter radiographically based
treatment plan decision-making and affect patient care, it seldom leads to patients transitioning from nonoperative to operative management, which can have serious economic impacts. As previous studies have shown, the incorporation of a rule-based system, such as the Ottawa or Pittsburgh knee rules, may lead to a reduction in unnecessary radiographs for patients and reduce the economic burden. Given the large number needed to treat, avoiding automatic inclusion of oblique radiographs in patients may reduce costs. However, for those patients suffering a “critical miss,” it is possible they may receive delayed or inaccurate treatments counteracting these benefits. Due to the high prevalence of knee pain as a chief complaint in our acute care facilities, this topic merits a future prospective evaluation as a simple way to control the exorbitant costs faced by our patients when presenting to the emergency department.
Address for Correspondence : Aravind Athiviraham, MD, University of Chicago Medicine, Department of Orthopedic Surgery, 5841 S. Maryland Ave, Chicago, IL 60637. Email: aathiviraham@bsd.uchicago.edu.
Conflicts of Interest: By the WestJEM article submission agreement, all authors are required to disclose all affiliations, funding sources and financial or management relationships that could be perceived as potential sources of bias. No author has professional or financial relationships with any companies that are relevant to this study. There are no conflicts of interest or sources of funding to declare.
Copyright: © 2022 Bradley et al This is an open access article distributed in accordance with the terms of the Creative Commons Attribution (CC BY 4.0) License. See: http://creativecommons.org/ licenses/by/4.0/
1. Stiell I, Greenberg G, Wells G, et al. Prospective validation of a decision rule for the use of radiography in acute knee injuries. JAMA 1996;611-5.
2. Gleadhill DNS, Thomson JY, Simms P. Can more efficient use be made of x ray examinations in the accident and emergency department. BMJ 1987;294(6577):943-7.
3. Pennycook AG, Rai A. Knee radiographs: a substitute for proper clinical examination within the accident and emergency department? Injury 1993;24(6):383-4.
4. Stiell IG, Greenberg GH, Wells GA, et al. Derivation of a decision rule for the use of radiograph in acute knee injuries. Ann Emerg Med 1995;26:405-13.
5. Gray SD, Kaplan PA, Dussault RG, et al. Acute knee trauma: how many plain film views are necessary for the initial examination?. Skeletal Radiol. 1997;26(5):298-302.
6. Nichol G, Stiell IG, Wells GA, et al. An economic analysis of the Ottawa knee rule. Ann Emerg Med. 1999;34(4 Pt 1):438-47.
7. Stiell IG, Wells GA, McDowell I, et al. Use of radiography in acute knee injuries: need for clinical decision rules. Acad Emerg Med 1995;2(11):966-73.
8. Seaberg DC, Jackson R. Clinical decision rule for knee radiographs. Am J Emerg Med. 1994;12(5):541-3.
9. Beutel BG, Trehan SK, Shalvoy RM, et al. The Ottawa knee rule: examining use in an academic emergency department. West J Emerg Med. 2012;13(4):366-72.
10. Landy DC, Utset-Ward TJ, Lee MJ. What are the implications of alternative alpha thresholds for hypothesis testing in orthopaedics? Clin Orthop Relat Res. 2019;477(10):2358-63.
11. Cockshott WP, Racoveanu NT, Burrows DA, et al. Use of radiographic projections of knee. Skeletal Radiol. 1985;13(2):131-3.
12. Daffner RH, Tabas JH. Trauma oblique radiographs of the knee. J Bone Jt Surg. 1987;69(4):568-72.
13. Mthethwa J, Chikate A. A review of the management of tibial plateau fractures. Musculoskelet Surg. 2018;102(2):119-27.
14. Verma A, Su A, Golin AM, et al. The lateral view: a screening method for knee trauma. Acad Radiol. 2001;8(5):392-7.
15. Lazaro L, Wellman DS, Pardee NC, et al. Effect of computerized tomography on classification and treatment plan for patellar fractures. J Orthop Trauma. 2003;27(6):336-44.
16. Bachmann LM, Kolb E, Koller MT, et al. Accuracy of Ottawa ankle rules to exclude fractures of the ankle and mid-foot: systematic review. BMJ. 2003;326(7386):417.
17. Emparanza JI, Aginaga JR. Validation of the Ottawa knee rules. Ann Emerg Med. 2001;38:364-8.
18. Ketelslegers E, Collard X, Vande Berg B, et al. Validation of the Ottawa knee rules in an emergency teaching centre. Eur Radiol. 2002;12:1218-20.
19. Richman PB, McCuskey CF, Nashed A, et al. Performance of two clinical decision rules for knee radiography. J Emerg Med. 1997;15:459-63.
20. Stiell IG, Wells GA, Hoag RH, et al. Implementation of the Ottawa knee rule for the use of radiography in acute knee injuries. JAMA. 1997;278:2075-9.
21. Szucs PA, Richman PB, Mandell M. Triage nurse application of the Ottawa knee rule. Acad Emerg Med. 2001;8:112-6.
22. Diercks DB, Hall KN, Hamilton CA. Validation of the Ottawa knee rules in an urban teaching emergency department [Abstract]. Acad
Emerg Med. 1997;4:408.
23. Tigges S, Pitts S, Mukundan S Jr, et al. External validation of the Ottawa knee rules in an urban trauma center in the United States. Am J Roentgenol. 1999;172(4):1069-71.
24. Seaberg DC, Yealy DM, Lukens T, et al. Multicenter comparison of two clinical decision rules for the use of radiography in acute, highrisk knee injuries. Ann Emerg Med. 1998;32:8-13.
25. Cook SR, Lillis K, Leddy JJ. Evaluation of the Ottawa knee rule in a pediatric E.D. and university sports medicine center. Med Sci Sports Exerc. 2001;33(5):S186.
26. Khine H, Dorfman DH, Avner JR. Applicability of Ottawa knee rule for knee injury in children. Pediatr Emerg Care. 2001;17:401-4.
27. Graham ID, Stiell IG, Laupacis A, et al. Awareness and use of the Ottawa ankle and knee rules in 5 countries: Can publication alone be enough to change practice? Ann Emerg Med. 2001;37(3):259-66.
28. Medicare. Procedure Price Lookup. 2019. Available at: https:// www.medicare.gov/procedure-price-lookup/cost/g0130. Accessed April 27, 2020.
29. Boström A. Fracture of the patella: a study of 422 patellar fractures. Acta Orthopaedica Scandinavica Supplement. 1972;143:1-80.
30. Carpenter JE, Kasman R, Matthews LS. Fractures of the patella. J Bone Jt Surg. 1993;75:1550-61.
31. Braun W, Wiedemann M, Rüter A, et al. Indications and results of nonoperative treatment of patellar fractures. Clin Orthop Rel Res. 1993;(289):197-201.
32. Melvin SJ, Mehta S. Patellar fractures in adults. J Am Acad Orthop Surg. 2011;19(4):198-207.
33. Prat-Fabregat S, Camacho-Carrasco P. Treatment strategy for tibial plateau fractures: an update. EFFORT Open Review. 2017;1(5):225-32.
34. Koval KJ, Helfet DL. Tibial plateau fractures: evaluation and treatment. J Am Acad Orthop Surg 1995;3(2):86-94.
35. Pean CA, Driesman A, Christiano A, et al. Functional and clinical outcomes of nonsurgically managed tibial plateau fractures. J Am Acad Orthop Surg 2017;25(5):375-80.
36. Mettler FA Jr, Huda W, Yoshizumi TT, et al. Effective doses in radiology and diagnostic nuclear medicine: a catalog. Radiology. 2008;248(1):254-63.
37. Giordano B, Grauer JN, Miller CP, et al. Radiation exposure issues in orthopaedics. J Bone Jt Surg. 2011;93(12):e69.
Prashant Mahajan, MD, MPH, MBA* Shu-Ling Chong, MBBS, MRCPCH, MCI, MPH† EMERGE Network‡
* † ‡
University of Michigan, Department of Emergency Medicine, Ann Arbor, Michigan
KK Women’s and Children’s Hospital, Department of Emergency Medicine, Singapore University of Michigan, Emergency Medicine Education and Research by Global Experts (EMERGE) Network, Ann Arbor, Michigan (See full list of authors at the end of the article)
Section Editor: James A. Meltzer, MD, MS
Submission history: Submitted February 8, 2022; Revision received May 2, 2022; Accepted July 2, 2022
Electronically published October 18, 2022
Full text available through open access at http://escholarship.org/uc/uciem_westjem
DOI: 10.5811/westjem.2022.7.56398.
Introduction: The Emergency Medicine Education and Research by Global Experts (EMERGE) network was formed to generate and translate evidence to improve global emergency care. We share the challenges faced and lessons learned in establishing a global research network.
Methods: We describe the challenges encountered when EMERGE proposed the development of a global emergency department (ED) visit registry. The proposed registry was to be a sixmonth, retrospective, deidentified, minimal dataset of routinely collected variables, such as patient demographics, diagnosis, and disposition.
Results: Obtaining reliable, accurate, and pertinent data from participating EDs is challenging in a global context. Barriers experienced ranged from variable taxonomies, need for language translation, varying site processes for curation and transfer of deidentified data, navigating institution- and country-specific data protection regulations, and substantial variation in each participating institution’s research infrastructure including training in research-related activities. We have overcome many of these challenges by creating detailed data-sharing agreements with bilateral regulatory oversight agreements between EMERGE and participating EDs, developing relationships with and training health informaticians at each site to ensure secure transfer of deidentified data, and formalizing an electronic transfer process ensuring data privacy.
Conclusion: We believe that networks like EMERGE are integral to providing the necessary platforms for education, training, and research collaborations for emergency care. We identified substantial challenges in data sharing and variation in local sites’ research infrastructure and propose potential approaches to address these challenges. [West J Emerg Med. 2022;23(6)947–951.]
Research in emergency medicine (EM) has increased in complexity and sophistication through collaborative efforts in the past two decades.1 Specifically, research networks can provide adequate cohort size for statistical power,
global representation of illnesses for generalizability, and structured research support to ensure integrity and quality of study designs. 2 Research networks can overcome current barriers such as varying research infrastructure support in emergency departments (ED) across the globe and allow for
evidence generation.3
The Emergency Medicine Education and Research by Global Experts (EMERGE) network was formed in June 2018, with the goals of generating evidence, translating knowledge to improve emergency care for patient populations, and strengthening EM research capacity globally.4 In the spirit of being inclusive we have reduced barriers to entry; thus, all institutions with EDs regardless of their annual census or academic affiliations can become EMERGE members. EMERGE continues to attract member sites across all six World Health Organization regions and continents, with a current membership of 26 EDs in 17 countries (www.EMERGENetwork.org). Aggregating high quality data on a common platform regardless of geographic borders is critical for describing and comparing the basic epidemiology of emergency care globally; increasing numbers to power hypothesis-generating studies; and improving generalizability of research findings.5 Here we report the issues and barriers faced by the network and discuss potential solutions.
Operating on a carousel model,6 EMERGE is governed by an executive committee consisting of three subcommittees aligned with the missions of research, education, and data oversight (performed by a data coordinating center). EMERGE intentionally proposed the development of a global ED visit registry to demonstrate feasibility of data-sharing. The registry is a six-month, retrospective, deidentified, minimal dataset of routinely collected variables, such as patient demographics, diagnosis, and disposition. The data was collected by determining the core elements a priori, and each site communicated with the data- coordinating center to harmonize variable fields from their respective electronic health records (EHR).
EMERGE experienced considerable barriers ranging from variable data taxonomies, need for language translation, varying processes for data cleaning and transfer of deidentified data, and navigating numerous data protection regulations (Table 1). Institutions and countries vary substantially regarding data oversight, ranging from the need to set up individualized research agreements to legal barriers resulting in the inability to transfer deidentified data across geographic borders for some participating sites. Such data-fencing has precluded some sites from participating in the EMERGE registry.
We have overcome many of these challenges through creating detailed data-sharing agreements with bilateral regulatory oversight, developing relationships with and training site health informaticians to ensure secure transfer of deidentified data, and formalizing a transfer process ensuring data privacy. Currently, 18/19 EMERGE sites in 13 countries have institutional review board approval, 13/18
have provided initial sample data while 8/13 have provided complete six-month data (Supplement Table 1). In most instances, after meeting site regulatory requirements for data transfer, sites reported difficulties in extracting data from their EHRs. The EMERGE data coordinating center had to take on roles beyond data curation and analyses and is now working with each individual institution’s information technology teams across EMERGE sites to ascertain data quality and authenticity. We also found substantial variation in each participating institution’s research infrastructure including training in research-related activities (eg, good clinical practices, study design and statistical analyses, grant writing). and resources including statisticians and research associates.
EMERGE encountered substantial challenges in obtaining high quality data across its participating sites in a timely manner, which is an inherent barrier toward generating evidence and improving emergency care globally. Barriers encountered ranged from restrictive regulatory data governance to lack of time and support for emergency clinicians to participate. Despite the barriers we identified in this article, EMERGE was able to quickly respond and conducted a pandemic preparedness study among 26 member and 103 non-member sites. By leveraging the EMERGE network, many more sites were recruited via referrals and direct solicitation, and all participants who were approached agreed to participate in the study.7 This supports the notion that EDs across the globe want to participate in endeavors to generate evidence.
Because it is an unfunded network, such intense data efforts from EMERGE will require substantial resources and are unsustainable. We believe the future viability of international research networks will depend on developing a federated data model in which the data is collected using standardized definitions and processes, retained at the institution, analysed locally or using federated machine learning, and reported in an aggregated manner while preserving privacy and overcoming regulatory requirements.8 However, based on our experience, building a federated data model requires sites to obtain appropriate local regulatory approvals and have the necessary data infrastructure including data scientists and trained personnel to support this approach.
Another approach to enhancing site research capabilities is to enhance the research training and education of the personnel in each participating ED. We are currently collaborating with the Development Implementation, and Assessment of Novel Training in Domain-based competencies (DIAMOND), which is a web-based, curated research education platform, developed by the Clinical & Translational Awards (CTSA) mechanism in the United States.9 This novel and scalable platform allows research personnel to evaluate their knowledge gaps and build highly customizable, ondemand, web-based research education modules for training in research methods and procedures. The enhanced research
Table 1. Issues faced in data collection across a global research network and potential solutions. Issues
Global level
National level
Regional level
Site level
System level
•Political unrest
•Infections (eg, pandemics)
•Different languages
•Need for international funding
•Data regulations (eg, GDPRa, ICMRb, LGDPc)
•Regulatory compliance – Ethics Committee
•Application of national laws
•Data variables differ
•Variability in requirements by ethics committees
•Data governance and concerns of breach in confidentiality
•Trust issues
•Variability in fields for electronic health records
•Information technology support/availability
Potential Solutions
•Remain sensitive to the impact of politics on research personnel, infrastructure, and timelines
•Adopt an opportunistic research posture
•Provide translation services
•Conduct needs analysis and seek appropriate funding channels
•Build a federated data model
•Provide guidance using a master study protocol and guidance documents
•Understand the variability in regional interpretation of national laws
•Accept data variables in variable formats; provide data consultation services
•Provide research education via DIAMOND platform
•Work on site-specific protocol templates; understand the concerns and differing requirements of various ethics boards
•Communication with specific sites prior to data transfer to eliminate the possibility of receiving identifiable data; create a process system with data center
•Maintain transparency, provide regular updates
•Ensure data compatibility for major variables
•Consider funding where possible for personnel for data extraction
•Remain flexible to adapt documents and data use agreements to reflect site-specific requirements that do not diverge from overall data policy
Personnel level
•Accessing the Collaborative Institutional Training Initiative
•Research experience
•Lack of dedicated administrative and research time
•Building a mentor-mentee model
•Provide authorship and acknowledgements as an incentive
GDPR, General Data Protection Regulation, EU data law; ICMR, Indian Council of Medical Research, Indian data law; LGDP, Lei Geral de Proteção de Dados or General Data Protection Law, Brazil data law; DIAMOND, Development, Implementation, and Assessment of Novel Training in domain-based competencies (https://diamondportal.org/).
methodology training will increase the site support and thereby sustain engagement in global research participation. Sharing of data-related resources across sites will further enhance the success of the federated data model.
The barriers encountered and solutions proposed are based on our experience, and it is possible that research networks in other specialities or those that have more robust support may have different barriers and challenges. Our experience is that with limited resources, there is a risk of over-burdening the sites as well as the central data-coordinating center. Some of these
barriers can be potentially circumvented by site commitment of time and resources to the network research goals and aligning priorities.10. EMERGE has collected information from participating sites through an ED demographics study that will allow us to better delineate each site’s patient population and research capabilities to participate in studies and thereby facilitate decisions on the type and number of active studies at any one point in time for the network.11
We identified challenges in data-sharing and variation in research infrastructure among sites. Immediate next steps
include the need to create regulatory-compliant federated data models, enhance research education and training, develop relevant research priorities, and identify research questions that require global participation yet can be performed at sites with limited resources.
Vijaya Arun Kumar, MD, MPH Wayne State University
Prerna Batra, MD UCMS & GTP Hospita
Apoorva Belle, MA, MHA University of Michigan
Ben Bloom, MD Royal London Hospital
Chung-Hsien Chaou, MD, PhD Chang Gung Memorial Hospital
Ulf Ekelund MD, PhD Skane University at Lund, Lund University
Sagar Galwankar, MBBS, DNB, MPH, Dip. ABEM Florida State University
Johanna Kaartinen, MD, PhD University of Helsinki and Helsinki University Hospital
Vimal Krishnan, MD Kasturba Medical College
Qingbian Ma, MD Peking University Third Hospital
Paul M. Middleton, MD South Western Emergency Research Institute
Anna Miethke Morais, MD, MBA Sao Paulo University
Chip Jin Ng, MD Chang Gung Memorial Hospital
Daniel Osei-Kwame, MBChB, FGCS Komfo Anokye Teaching Hospital
Dominik Roth, MD, PhD University of Vienna
Rasha Sawaya, MD American University of Beirut Medical Center
Sanjeev Singh, PhD, MPhil, DCH, MBBS South Western Emergency Research Institute
Tej Prakash Sinha, MBBS, MS Sao Paulo University
Mabel Vasnaik, MD Chang Gung Memorial Hospital
Katie Walker, MBChB, Dip DHM, FACEM Komfo Anokye Teaching Hospital
Adriana Yock, MD, MSc University of Vienna Address for Correspondence: Prashant Mahajan, MD, University of Michigan Medical School, Department of Emergency Medicine, 1540 East Hospital Drive CW 2-737, Ann Arbor, Michigan 481094260. Email: pmahajan@med.umich.edu.
Conflicts of Interest: By the WestJEM article submission agreement, all authors are required to disclose all affiliations, funding sources and financial or management relationships that could be perceived as potential sources of bias. No author has professional or financial relationships with any companies that are relevant to this study. There are no conflicts of interest or sources of funding to declare.
Copyright: © 2022 Mahajan et al. This is an open access article distributed in accordance with the terms of the Creative Commons Attribution (CC BY 4.0) License. See: http://creativecommons.org/ licenses/by/4.0/
1. Klassen TP, Acworth J, Bialy L, et al. Pediatric emergency research networks: a global initiative in pediatric emergency medicine. Pediatr Res. 2010;17:224–7.
2. Papa L, Kuppermann N, Lamond K, et al. Structure and function of emergency care research networks: strengths, weaknesses, and challenges. Acad Emerg Med. 2009;16:995–1004.
3. Rincon F, Lee K. Ethical considerations in consenting critically ill patients for bedside clinical care and research. J Intensive Care Med 2015;30:141–50.
4. University of Michigan. Emergency Medicine Education & Research by Global Experts. 2021. Available at: https://www.emergenetwork. org. Accessed September 15, 2021.
5. Ong MEH, Shin S Do, Tanaka H, et al. Pan-Asian Resuscitation Outcomes Study (PAROS): rationale, methodology, and implementation. Acad Emerg Med. 2011;18:890–7.
6. Wright D, Crouch R, Clancy M. Role of networks in supporting emergency medicine research: findings from the Wessex Emergency Care Research Network (WECReN). Emerg Med J 2005;22:80–3.
7. Mahajan P, Shu-Ling C, Gutierrez C, et al. A global survey of emergency department responses to the COVID-19 pandemic. West J Emerg Med. 2021;22(5):1037-44.
8. Rieke N, Hancox J, Li W, et al. The future of digital health with federated learning. NPJ Digit Med. 2020;3:119.
9. Michigan Institute For Clinical & Health Research. New DIAMOND portal allows CTSA members to access, share training and
assessment materials. 2020. Available at: https://michr.umich. edu/news/2018/10/15/new-diamond-portal-allows-ctsa-membersto-access-share-training-and-assessment-materials. Accessed September 15, 2021.
10. Stoner MJ, Mahajan P, Bressan S, et al. Pediatric emergency care research networks: a research agenda. Acad Emerg Med 2018;1336–44.
11. Schmitzberger F, Belle A, Mahajan P. (2020). Characteristics of emergency departments participating in the Emergency Medicine Education and Research by Global Experts (EMERGE) Network. In: Consortium of Universities for Global Health (CUGH) (104–5).
Kathy T. LeSaint, MD*
Juan Carlos C. Montoy, MD, PhD*
Eric C. Silverman, MD, MPH*
Maria C. Raven, MD, MPH, MS*
Samuel L. Schow†
Phillip O. Coffin, MD, MIA*‡
John F. Brown, MD, MPA‡
Mary P. Mercer, MD, MPH*
Section Editor: Marc L. Martel, MD
* † ‡
University of California, San Francisco, Department of Emergency Medicine, San Francisco, California San Francisco Fire Department, San Francisco, California San Francisco Department of Public Health, San Francisco, California
Submission history: Submitted February 27, 2022; Revision received July 5, 2022; Accepted August 16, 2022 Electronically published October 31, 2022 Full text available through open access at http://escholarship.org/uc/uciem_westjem DOI: 10.5811/westjem.2022.8.56561
Introduction: In response to the ongoing opioid overdose crisis, US officials urged the expansion of access to naloxone for opioid overdose reversal. Since then, emergency medical services’ (EMS) dispensing of naloxone kits has become an emerging harm reduction strategy.
Methods: We created a naloxone training and low-barrier distribution program in San Francisco: Project FRIEND (First Responder Increased Education and Naloxone Distribution). The team assembled an advisory committee of stakeholders and subject-matter experts, worked with local and state EMS agencies to augment existing protocols, created training curricula, and developed a naloxone-distribution data collection system. Naloxone kits were labeled for registration and data tracking. Emergency medical technicians and paramedics were asked to distribute naloxone kits to any individuals (patient or bystander) they deemed at risk of experiencing or witnessing an opioid overdose, and to voluntarily register those kits.
Results: Training modalities included a video module (distributed to over 700 EMS personnel) and voluntary, in-person training sessions, attended by 224 EMS personnel. From September 25, 2019–September 24, 2020, 1,200 naloxone kits were distributed to EMS companies. Of these, 232 kits (19%) were registered by EMS personnel. Among registered kits, 146 (63%) were distributed during encounters for suspected overdose, and 103 (44%) were distributed to patients themselves. Most patients were male (n = 153, 66%) and of White race (n = 124, 53%); median age was 37.5 years (interquartile range 31-47).
Conclusion: We describe a successful implementation and highlight the feasibility of a lowthreshold, leave-behind naloxone program. Collaboration with multiple entities was a key component of the program’s success. [West J Emerg Med. 2022;23(6)952–957.]
The United States is in the midst of an ongoing overdose epidemic. Since the late 1990s, the use of opioids in the US has accelerated to an unprecedented scale, and over the last decade
the use of prescription and non-prescription opioids, prevalence of opioid use disorders, and opioid-related mortality have increased dramatically.1,2 In recent years, the steep increase in overdose deaths from prescription and illicit opioid use has been
attributed to the rapid proliferation of illicitly made fentanyl and other highly potent synthetic opioids.
Since 1996 an increasing number of community-based programs have offered opioid overdose prevention services and provided the opioid antagonist naloxone hydrochloride to persons who use drugs, their families and friends, and to emergency medical services (EMS) personnel.3 By 2012, the training and provision of naloxone to 53,032 individuals had led to 10,171 drug overdose reversals.3 On April 5, 2018, the Surgeon General of the US Public Health Service released a health advisory urging the expansion of the use of and access to naloxone, making its widespread availability a key part of the nation’s public health response.4 Since then, more naloxone is being administered by law enforcement, EMS personnel, and non-emergency first responders to reverse opioid overdoses.5
Around the same time, federal and state regulations eased restrictions regarding distribution of naloxone to the public. In 2018 North Carolina became one of the first states to have an EMS-based naloxone leave-behind program in which emergency medical technicians (EMT) and paramedics leave naloxone with patients who decline transport to the emergency department.6 Subsequently, many EMS systems followed suit. In this manuscript, we describe a successful implementation of a city-wide, low-threshold. leave-behind naloxone program in San Francisco (SF), with collaboration between the county’s EMS base hospital, local and state EMS agencies, and the San Francisco Department of Public Health.
The project leadership team received funding from the Substance Abuse and Mental Health Services Administration to develop a naloxone training and low-barrier distribution program in SF called Project FRIEND (First Responder Increased Education and Naloxone Distribution). Direct costs for the first year of the project totaled approximately $300,000 and consisted of clinician salary support for the project director, lead project developer, lead evaluator, and curriculum lead; the hiring of a full-time project coordinator; and the hiring of two contentexpert consultants, one in EMS and the other in substance use disorders. During program design, the team also assembled a voluntary advisory committee composed of leaders from the SF EMS Agency, leaders from each of the three SF 9-1-1 ambulance provider organizations, a harm-reduction expert from the Drug Overdose Prevention and Education (DOPE) Project, and a clinical pharmacist. San Francisco’s three 9-1-1 public and private entities that provide ambulance service include the SF Fire Department, King-American Ambulance Company, and American Medical Response, Inc. In addition, the team sought out an EMT or paramedic representative from each of the three SF 9-1-1 ambulance services to serve as volunteer, Project FRIEND “champions” for peer-based support.
Since inception, the leadership team met twice monthly
What do we already know about this issue?
In response to the ongoing US opioid epidemic, an increasing number of emergency medical services (EMS)-based, leave-behind naloxone programs have been implemented.
What was the research question? How did a project team implement a lowthreshold, leave-behind naloxone program in San Francisco?
What was the major finding of the study?
The implementation of an EMS-based, leavebehind naloxone program is feasible in an urban setting. Of 1,200 kits given to EMS, 19% were distributed to patients or bystanders in the field.
How does this improve population health?
An EMS-based, leave-behind naloxone program can be complementary to other harm reduction efforts.
to develop protocols and track progress for program implementation milestones. The leadership team, consultants, advisory committee, and champions met quarterly during the first year to finalize deliverables prior to implementation and then had semi-annual formal meetings after. In collaboration with local and state EMS agencies, the team augmented existing protocols and policies to allow for naloxone distribution by prehospital personnel, created in-person and virtual training curricula for SF EMS personnel, and developed an evaluation and data collection tool for the naloxone kits that were distributed. The program’s workflow and educational curriculum presentation are included as supplementary material (Appendices 1 and 2). Prior to the start of the project, the team applied for and received intranasal naloxone hydrochloride kits from the California Department of Health Care Services under the Naloxone Distribution Project.7 The team received two separate shipments from the Naloxone Distribution Project, totaling 1,200 kits.
On September 11 and November 13, 2019, the leadership team hosted in-person, formal training sessions, offered to all EMS personnel in SF. The training sessions detailed Project FRIEND’s background and goals, indications and instructions for use of naloxone, “justin-time” training on methods for educating patients/ bystanders in naloxone administration, and an overview of harm reduction strategies. These in-person trainings lasted approximately 60 minutes and included a slide-deck
presentation and question-and-answer session. In addition, the team hosted 12 just-in-time training sessions during the first two months of project implementation. For each justin-time session, a project team member was present at each of the three 9-1-1 ambulance provider organizations during EMS shift changes to conduct informal, verbal training sessions to available personnel and to distribute quick response (QR) code website links to additional training materials. These just-in-time training sessions lasted approximately 10-20 minutes including a question-andanswer session.
Each naloxone intranasal kit was labeled with a Project FRIEND serial number and QR code for registration and data tracking, as well as the Project FRIEND website URL to direct recipients to additional information and community resources. Every three months, approximately 100-200 kits were delivered to the operations manager at each of the three EMS organizations for allocation to individual ambulances/EMS personnel.
San Francisco’s EMS personnel were asked to register and distribute naloxone kits to any individuals (patient or bystander) they deemed at risk of opioid overdose or likely to come into contact with a high-risk individual. These encounters could take place at any time while on shift and were not limited to overdose calls. The QR code linked to a secure online survey (Qualtrics LLC, Provo, UT) in which paramedics and EMTs entered the following information: kit serial number; whether EMS specifically responded to an overdose event; the location of the naloxone distribution; EMS personnel identifiers (name, ambulance company, EMS incident number, contact information for the EMT or paramedic); and naloxone recipient demographic information (name, age, gender, race). Registration of each kit was optional; during the training sessions, we prioritized the goal of low-barrier distribution and patient care/rapport over strict adherence to data collection.
For each naloxone kit that was distributed, the EMT or paramedic who registered the kit was entered into a monthly lottery for a $100 gift card incentive. During the first year of program implementation, the leadership team created advertisements and conducted outreach to increase participation by EMTs and paramedics. Outreach materials included quarterly newsletters, reminder emails, and personnel-facing signage posted in each ambulance. Additionally, near the completion of the first year of implementation, the program team hosted a webinar on EMS opioid management for the EMS and healthcare community. Speakers included national and regional leaders in EMS-based harm reduction programs and featured a front-line worker presentation from one of Project FRIEND’s paramedic champions.
A video training module was distributed to over 700 EMS personnel at each of SF’s three 9-1-1 ambulance provider organizations. Two-hundred twenty-four (32%) EMS personnel were trained by the Project FRIEND team: 29 attended one of two larger in-person training sessions, and 195 were captured during one of 12 justin-time training sessions. From September 25, 2019–September 24, 2020, a total of 1,200 Project FRIEND QR-labeled naloxone kits were distributed to three SF EMS organizations. Kits were distributed to each of these organizations on five occasions throughout the year, per each organization’s request after they had exhausted or nearly exhausted their supply. Of these, 232 (19%) were registered over 12 months from September 25, 2019–September 24, 2020. During this time, an average of 19 kits were registered per month, with the highest number of registered kits (n = 56) recorded during the first month of project implementation. We did not observe a relationship between the number of registered kits and the distribution of advertisements and outreach materials.
In 146 of 232 registered kits (63%), EMS personnel had been dispatched to an overdose event. Most naloxone kits were distributed in the Downtown/Civic Center neighborhood of SF (n = 96, 41%). Many were directly given to patients (n = 103, 44%), a majority of whom were male (n = 153, 66%), of White race (n = 124, 53%), and with a median age of 37.5 years (interquartile range 31-47). Other naloxone kits were distributed to bystanders (n = 77, 33%), or to a friend/family member (n = 38, 16%); in 14 cases (16%) this data was unknown.
Having observed a decrease in the number of kits registered in the second month of the project (nine kits distributed), we conducted a focus group with our three EMS champions and leadership from ambulance organizations to discuss barriers to distribution and reporting in December 2019. Additionally, we performed a formal program data overview for the SF EMS Agency as well as a systemwide quality review at the six-month program mark. Prior to these reviews, we asked the EMS champions and agency leadership to conduct informal conversations with their colleagues regarding operational challenges to the Project FRIEND program. In these discussions, we found that EMS personnel either did not remember to offer naloxone or had already exhausted their stock but otherwise did not report barriers to distribution. Barriers to registering kits reported included lack of time (eg, having to respond to another prehospital incident immediately) and being unfamiliar with the registration protocol (eg, did not watch the training video). We also learned that the program became known to individuals not treated by EMS; anecdotally, EMTs and paramedics described several instances in which they were approached by passers-by (ie, non-patients) for naloxone kits.
We found a low barrier, EMS-based naloxone leavebehind program to be feasible in an urban setting. While the leadership team involved in the creation of this program was federally funded, the program itself required few start-up resources. Many of those on the project development team (advisory committee, EMS champions) were available on a voluntary basis, as the goals of Project FRIEND were aligned with growing interest in prehospital opioid harm reduction. While implementing the program was time intensive, it had low direct cost (eg, email for communication, use of printing services). To further reduce costs, our program used the California Department of Health Care Services’ Naloxone Distribution Program to obtain naloxone intranasal kits at no cost. As interest in harm reduction strategies continues to increase throughout the US, we encourage those seeking to create a leave-behind program to take advantage of similar state and federally funded naloxone supply programs.
A majority of the naloxone kits were distributed in SF’s Downtown/Civic Center area. This neighborhood is one of the city’s poorest, containing the highest number of single residence occupancy hotels (which are known to be associated with a higher overdose mortality) and many marginally or unhoused people.8 While many of the existing SF harm reduction programs are located in and concentrate their efforts on this neighborhood, the patients most likely to use existing programs are those with prior overdose experiences, who use multiple substances and who are unhoused.9 Our program aimed to fill the existing gap by providing naloxone to highrisk individuals who have overdosed, regardless of their housing status, use of other substances, or experience with prior overdoses. In addition, nearly one third of the naloxone kits were distributed outside the Downtown/Civic Center area, suggesting a sizable need for harm reduction and substance use treatment resources in other parts of SF.
While communities differ greatly in terms of the types of opioids used, the populations of patients most at risk of overdose, and the community resources available to address opioid overdose, our setting has many features shared by other communities. As in other communities, heroin had been the primary opioid driving opioid overdose mortality for decades before being overtaken by prescription opioids in the mid-2000s; use of heroin then increased above prescription opioid use until fentanyl became the cause of the vast majority of overdoses.10 A study from of opioid overdose deaths in SF from 2009-2019 revealed an upward trend in fentanyl-related fatal accidental overdoses.11 In addition, a comprehensive study of out-of-hospital cardiac arrest deaths in SF demonstrated that more than 1 in 6 resulted from an occult overdose, suggesting the scope of the overdose epidemic is worse than previously thought.12 The city’s EMS personnel have reported increases in the number of patients requiring naloxone for opioid overdose reversal in recent years, further attesting to the rising opioid problem in SF. The
SF Department of Public Health (reported 365 lay overdose reversals with naloxone in 2014. However, in 2015 the number of reversals rose sharply to 980, nearly doubled again in 2018 to 1,658, and rose to 4,307 in 2020.10
During the first year of Project FRIEND implementation, a majority of registered kits did not go directly to patients, but rather to bystanders, and to friends or family of patients. This is particularly important, as involvement of a patient’s support system is critical to the addiction treatment process.13,14 Training and equipping the patient’s close contacts with naloxone, a life-saving tool, may be the first step in opening a dialogue for longterm treatment. Additionally, family members and close support systems are deeply affected by an individual using substances and may suffer high levels of distress, family conflict, domestic violence, unmet social needs, and economic burdens.15 Involving the patient’s close contacts in addiction treatment has been shown to increase entry into treatment and enhance treatment completion, and has been linked with improved treatment outcomes for the individual coping with addiction.16
EMS-initiated interventions for substance use disorders are critical, and paramedics and EMTs can play a significant role in the public health sphere. While a low-barrier naloxone kit distribution initiative does not equate to provision of comprehensive substance use disorder treatment, it does represent a step toward management of substance use and related risks.17 EMS-based interventions that more comprehensively treat patients with substance use disorders have only recently emerged and range from those that provide medications for substance use disorders (eg, buprenorphine) to those focused on addressing social determinants of health.18-20 We anticipate that these initiatives will continue to be systematically studied, and our hope is to expand Project FRIEND to include additional evidence-based care strategies in the near future.
The main challenge our leave-behind naloxone program faced was buy-in by EMS personnel regarding data tracking. While the project team had the support of the SF EMS Agency and local EMS organizations, the program depended on the willingness of individual EMTs and paramedics to engage patients and bystanders to participate in the Project FRIEND data collection tool. While the number of kits distributed was substantially greater than the number actually registered, we did not formally evaluate why specific kits went unregistered or why kits may not have been distributed during particular encounters. Because the primary goal of this project was to distribute naloxone, we opted for a low-barrier mechanism with an optional registration process. While a system with mandatory data elements might have yielded more robust results, it would likely also have resulted in less naloxone being distributed. Notably, we previously reported that EMTs and paramedics in SF generally believe that naloxone distribution programs
are effective and they support the training and distribution being performed by prehospital personnel.21
Several limitations of our program warrant consideration. First, as mentioned previously, we had low adherence to the voluntary kit-registration process and were only able to obtain demographic data on a small proportion of the total kits distributed. Improvement in data-tracking/kit registration may have been accomplished through provision of incentives, ongoing active outreach to EMS personnel, or making the registration of kits compulsory prior to distribution. However, the primary purpose of the program was not to collect data nor to conduct a formal research study. While demographic data may help identify high-risk individuals or the locations of greatest need for harm reduction, the goal of the program was to introduce low-barrier naloxone distribution through SF EMS. During the first year of Project FRIEND implementation, 1,200 naloxone intranasal kits were distributed to members of the SF community by prehospital personnel, in some instances when EMS was not even responding to an overdose event.
Project FRIEND had a first-year direct cost of $300,000, an amount that may not be easily obtainable by EMS groups wishing to start a similar program. At the time of Project FRIEND inception, however, we were one of very few naloxone leave-behind programs in the country and, thus, required clinician and consultant expertise during our start-up phase. Currently, many more EMS-based naloxone leavebehind programs are in existence. EMS groups in the start-up phase now have more opportunities for collaboration with existing programs and experts.
Furthermore, our program did not follow individual patients over time; therefore, we were unable to determine whether the distributed naloxone was used to reverse a future overdose event if it was not reported. In addition, while we provided a link to the Project FRIEND website on each kit, we acknowledge that not all patients have access to smartphones or the internet; thus, we were unable to determine how many patients subsequently sought treatment for opioid use disorder or had linkage to care Finally, it was not possible for us to determine the direct longterm implications of our leave-behind naloxone program, such as healthcare system cost-effectiveness or changes to morbidity and mortality related to opioid use disorder.
We highlight the feasibility of implementing a low barrier, EMS-based naloxone leave-behind program. While this initiative was created in San Francisco, an urban area, the basic premise for implementation of this type of program is generalizable to other communities. Because harm reduction is often the first step in the treatment of highrisk individuals with opioid use disorder, enlisting EMS personnel to engage these individuals is a promising method to help save lives and reduce future overdose events.
The authors would like to thank Virginia Chan and Curtis Geier for their work on this project.
Address for Correspondence: Kathy T. LeSaint, MD, University of California, San Francisco, Department of Emergency Medicine, 1001 Potrero Avenue, Building 5, Room 6A, San Francisco, CA 94110. Email: kathy.lesaint@ucsf.edu.
Conflicts of Interest: By the WestJEM article submission agreement, all authors are required to disclose all affiliations, funding sources and financial or management relationships that could be perceived as potential sources of bias. No author has professional or financial relationships with any companies that are relevant to this study. There are no conflicts of interest or sources of funding to declare.
Copyright: © 2022 LeSaint. This is an open access article distributed in accordance with the terms of the Creative Commons Attribution (CC BY 4.0) License. See: http://creativecommons.org/ licenses/by/4.0/
1. Compton WM, Boyle M, Wargo E. Prescription opioid abuse: problems and responses. Prev Med. 2015;80:5-9.
2. Han B, Compton WM, Jones CM, et al. Nonmedical prescription opioid use and use disorders among adults aged 18 through 64 years in the United States, 2003-2013. JAMA. 2015;314(14):1468-78.
3. Centers for Disease Control and Prevention (CDC). Community-based opioid overdose prevention programs providing naloxone - United States, 2010. MMWR Morb Mortal Wkly Rep. 2012;61(6):101-5.
4. U.S. Department of Health & Human Services. U.S. Surgeon General’s Advisory of Naloxone and Opioid Overdose. Available at: https://www.hhs.gov/surgeongeneral/priorities/opioids-and-addiction/ naloxone-advisory/index.html. Accessed December 11, 2020.
5. Davis CS, Ruiz S, Glynn P, et al. Expanded access to naloxone among firefighters, police officers, and emergency medical technicians in Massachusetts. Am J Public Health. 2014;104(8):e7-e9.
6. Naloxone Saves. Community Distribution of Naloxone. Available at: https://www.naloxonesaves.org/community-distribution-of-naloxone/. Accessed July 9, 2020.
7. California MAT Expansion Project. Naloxone Distribution Project. Available at: http://www.californiamat.org/matproject/naloxonedistribution-project/. Accessed January 17, 2021.
8. Rowe CL, Riley ED, Eagen K, et al. Drug overdose mortality among residents of single room occupancy buildings in San Francisco, California, 2010-2017. Drug Alcohol Depend. 2019;204:107571.
9. Rowe C, Santos GM, Vittinghoff E, et al. Predictors of participant engagement and naloxone utilization in a community-based naloxone distribution program. Addiction. 2015;110(8):1301-10.
10. Coffin PO, McMahan V, Long K, et al. Substance use trends in San Francisco through 2020. 2021. Available at: https://www.csuhsf. org/_files/ugd/91710f_848b3349bfe047a897f0afaebb6978e3.pdf.
Accessed August 23, 2022.
11. West KL, Lindquist K, Rodda LN. Fentanyl epidemic hits the U.S. West Coast: opioid-related deaths in San Francisco from 20092019. Int J Drug Policy. 2021;95:103402.
12. Rodriguez RM, Montoy JCC, Repplinger D, et al. Occult overdose masquerading as sudden cardiac death: from the POstmortem Systematic InvesTigation of Sudden Cardiac Death Study. Ann Intern Med. 2020;173(11):941-4.
13. Epstein EE, McCrady BS. Behavioral couples treatment of alcohol and drug use disorders: current status and innovations. Clin Psychol Rev. 1998;18(6):689-711.
14. Meads C, Ting S, Dretzke J, et al. A systematic review of the clinical and cost-effectiveness of psychological therapy involving family and friends in alcohol misuse or dependence. Health Technol Assess Rep. 2007;65:97.
15. Kourgiantakis T, Ashcroft R. Family-focused practices in addictions: a scoping review protocol. BMJ Open. 2018;8(1):e019433.
16. Ventura AS, Badley SM. To improve substance use disorder prevention, treatment, and recovery: engage the family. J Addict Med. 2017;11(5):339-41.
17. Scharf BM, Sabat DJ, Brothers JM, et al. Best practices for a novel EMS-based naloxone leave behind program. Prehosp Emerg Care. 2021;25(3):418-26.
18. Tangherlini N, Villar J, Brown J, et al. The HOME team: evaluating the effect of an EMS-based outreach team to decrease the frequency of 911 use among high utilizers of EMS. Prehosp Disaster Med. 2016;31(6):603-7.
19. Carroll GG, Wasserman DD, Shah AA, et al. Buprenorphine field initiation of ReScue Treatment by Emergency Medical Services (Bupe FIRST EMS): a case series. Prehosp Emerg Care. 2021;25(2):289-93.
20. Coffman JM, Blash L, Amah G, et al. Update of evaluation of California’s community paramedicine pilot program. 2020. Available at: https://healthforce.ucsf.edu/sites/healthforce.ucsf.edu/files/ publication-pdf/6th%20update%20to%20public%20report%20on%20 CA%20%20CP%20project_012520.pdf. Accessed January 22, 2021.
21. Montoy JCC, Mercer MP, Silverman EC, Raven MC, LeSaint KT. Emergency medicine services providers’ attitudes toward naloxone distribution and training programs. Am J Emerg Med. 2022;51:76-8.
Deena Ibrahim, MD* Nina P. Patel†
Malkeet Gupta, MD, MS‡
J Christian Fox, MD* Shahram Lotfipour, MD, MPH*
* † ‡
University of California, Irvine, Department of Emergency Medicine, Irvine, California Stanford University School of Medicine, Stanford California University of California, Los Angeles, Department of Emergency Medicine, Westwood, California
Electronically published November 7, 2022 Full text available through open access at http://escholarship.org/uc/uciem_cpcem
DOI: 10.5811/westjem.2022.11.59367
West J Emerg Med. 2010;197–200
Ileocecal Intussusception in the Adult Population: Case Series of Two Patients
Deena Ibrahim, Nina P. Patel, Malkeet Gupta, J Christian Fox, Shahram Lotfipour
[West J Emerg Med. 2022;23(6)958-958.] This article corrects a copyright issue with figure 1 in the original article.
published by eScholarship University of California