





















The healthcare experience you deserve.
You are busy. The demands on your time can make it difficult to manage your health and wellness. Inova VIP 360° membership gives you coordination of care and peace of mind, whenever and wherever you need it.
Membership gives you access to:
• Extensive medical review and annual physical examination with wellness planning, scheduled at your convenience
• Same-day or next-day appointments
• Designated primary care provider of your choice
• 24/7 direct access to Inova VIP 360° physicians
• Referral and navigation assistance for testing and specialty care
• Enhanced access to Inova’s world-class healthcare services, including physicians, research and timely follow-up requests
Call us today or visit inova.org/freeconsult to schedule your FREE consultation at one of our convenient Inova VIP 360° locations:
Inova VIP 360° – Ballston 1005 N. Glebe Rd., Suite 710 Arlington, VA 22201 P: 571.302.3903
Inova VIP 360° – Fairfax Inova Specialty Center 8081 Innovation Park Dr., Suite 200 Fairfax, VA 22031 P: 571.472.7000
Inova VIP 360° – Fair Oaks 3580 Joseph Siewick Dr., Suite 306 Fairfax, VA 22033 P: 703.391.4520
Inova VIP 360° – Lansdowne 19500 Sandridge Way, Suite 200 Leesburg, VA 20176 P: 703.840.7300
We are a full-service wealth services firm dedicated to helping you live your best life.
It’s our passion, and we’ll be with you every step of the way.
Through personalized advice and a brand range of services, we’ll help you align your investments with your needs and goals. Our customized strategies will help you gain confidence to make decisions in support of your ideal life.
Live greater with what you already have. We’ll help you consider all the areas beyond investments the can contribute to pursuing your financial goals, from insurance planning, to tax strategies, education expense planning and more.
Retirement planning is a natural complement to financial planning and investment management. Make sure you’re enhancing your assets in ways that align with long-term considerations for living your best life in retirement.
At VLP, we take a holistic approach to financial management, aligning your investment and financial decisions with your values. Through VLP’s team-based client service and a collaborative work environment, we’ll guide you through a deliberate, experienced process to help you discover your goals and identify your resoures in order to create a customized plan to help you grow, protect, leverage and transfer your legacy and wealth.
If your kids are like most, school snow closings are the highlight of the winter season. Get into the spirit with some of these fun outdoor activities. After you’ve expended your energy outdoors, there’s plenty of fun to be had indoors as well.
Elevate your movie-going experience at Tysons’ ShowPlace ICON theatre.
Now that things are “opening up” again, you should make it a point to visit this extraordinary movie theatre. Not only to support your local arts, but to spoil yourself in the luxuries that make a visit to the Tysons ShowPlace ICON a special experience.
Northern Virginia’s only ongoing magic show dazzles audiences!
The theatre is buzzing with excitement before each performance of Sly’s Magic show as audience members anticipate a wonder-filled evening. Then the “curtain rises” and the show begins. The thing is though, there’s no actual curtain. So the audience sees everything.
THE MAGAZINE FOR TYSONS | RESTON | ASHBURN | LEESBURG GREAT FALLS | MCLEAN | VIENNA | OAKTON | FALLS CHURCH HOLIDAY 2022
PRESIDENT & PUBLISHER Johnny Hanna DIGITAL MEDIA ADVISOR/ CLIENT ADVOCATE Nawara Omary Elliott Tricia Leimbach
ART DIRECTOR / PRODUCTION MANAGER Mary Jeanne Cincotta
SENIOR GRAPHIC ARTIST/ WEBSITE DESIGNER Robin Long TRAVEL CONTRIBUTOR Allison Chase Sutherland
WINE EDITOR Linda Barrett
VIDEOGRAPHY Kari Cannistraro
PHOTOGRAPHIC CONTRIBUTORS Greg Knott
CONTRIBUTING WRITERS Linda Barrett
Kimberly Blaker Andrew Fincher Marcia McAllister
Tysons Premier Magazine | 703.585.3354 | 2108 Robin Way Court, Vienna, VA 22182 General inquiries and comments about this publication can be sent to: info@vivatysons.com. www.vivatysons.com www.facebook.com/vivatysons www.twitter.com/vivatysonsmag www.tasteoftysons.com twitter.com/tasteoftysons www.tysonstoday.com www.tysonshealthandbeauty.com
Subscriptions for Tysons Premier Magazine are available for $12 per year or $20 for two years. Please address requests to Tysons Premier, 2108 Robin Way Court, Vienna, VA 22182, or call us at 703.585.3354, or you can subscribe online at www.vivatysons.com.
Volume 3, Issue 6. Copyright © 2022 by Tysons Premier Magazine Inc. Tysons Premier Magazine is published every two months by Nova Premier, LLC 2108 Robin Way Court, Vienna, VA 22182. All rights reserved. All editorial material is fully protected and should not be reproduced in any matter without written permission. Nova Premier makes every effort to ensure the accuracy of the information we publish, but we cannot be held responsible for any consequences or claims due to errors or omissions. Retailers wishing to carry Tysons Premier at their locations and readers wishing to correspond with us are asked to write us at TheTysonsPremier@gmail.com.
THE BORO TYSONS 1640 Boro Place, Suite 204 McLean, Virginia 22102 703.848.2000 contact@colourbarstudio.com colourbarstudio.com
Make an ice tree. Instead of throwing out your holiday tree, turn it into a winter display. Stand it in your yard, turn the water hose on low, and spray upward and toward the trunk of the tree. As ice forms, continue spraying until you achieve your desired effect.
Have a snow-sculpting contest, and invite your neighbors to participate.
Roll a snowball as large as you can. Then fill buckets with snow and carefully dump them on top. Gently pack the snow and smooth it with your mittens. Sculpt and shape your creation using small shovels and gardening tools. When your sculpture is complete, gently pack and smooth it with your hands again.
If your kids are like most, school snow closings are the highlight of the winter season. Get into the spirit with some of these fun outdoor activities. After you’ve expended your energy outdoors, there’s plenty of fun to be had indoors as well.
Take a snowshoe hike. Buy or borrow snowshoes for the family, and go on a trek through the woods or a field. Take your compass. But also tie brightly colored strips of fabric to tree branches to mark your path. Dress warm and keep track of time to prevent overtiring and frostbite. Look for animal tracks and burrows; identify trees by the bark and shape of their trunks; learn how to tell the time or direction by the position of the sun; and other nature and survival activities.
Visit an ice sculpture show. Look for these captivating displays on college
campuses, in city parks, and indoor arenas. Check with your local and nearby chamber of commerce or state travel bureau for events listings.
Visit a zoo. During the winter months, zoos often bring guest animals and offer special exhibits. Arctic and cold climate animals may be more active, and indoor exhibits are easier to view because of smaller crowds.
Build an igloo or snow fort. Choose a day when the snow is suitable for packing. Use a square or rectangular container for building snow forts, which are often found in toy departments. Be sure to stagger the blocks for support.
Take a winter carriage ride. Look for horse-drawn carriages in tourist or trendy towns and quaint villages. Bundle up, and take warm blankets and hot beverages. Then enjoy a cozy ride through a snowy, festive town.
Enjoy a winter fest. Visit your chamber of commerce or state travel bureau website for a list of winter festivals and events. Activities to look for include light displays, fireworks, winter sports competitions, recreational activities, exhibits and ice sculpture displays, sleigh rides, snowshoe tours, and more.
Go sledding. If you have small hills in your backyard, use a trash bag for sliding down them. Better yet, head to some real hills with your toboggan or sled. Keep safety rules in mind for safe wintery fun.
Head to a museum. Most cities, even small towns, have a historical museum. Hands-on science, art, or natural history museums are found in most metropolitan areas or at nearby universities.
Grab your roller blades or skates and head to your nearby indoor rink. These arenas are updated for today’s kids and are a blast for parents and kids alike. If you’ve never roller-skated, take a class at the rink.
Create an indoor snow family. Buy black and white clay from an arts and crafts supply. Roll snow people out of the white clay, and shape hats with the black. Make arms with tiny twigs, scarves from narrow fabric strips, eyes and buttons from whole pepper, and noses from broken orange-colored toothpicks.
Tour a manufacturing plant. Tours are often available to the public even if they aren’t wellpublicized. Just call to find out.
View the winter sky. Visit a planetarium to see constellations and some of the brightest stars of the year.
Hold a winter movie fest. Invite friends over, rent a selection of movies, and have everyone bring their pillows or beanbag chairs. Don’t forget the buttery popcorn and hot chocolate. If you’ve had enough of winter, hold a Hawaiian luau instead. Choose summery or vacation themed movies. Serve cold drinks with little umbrellas and fruit on top. And don’t forget the beach towels.
Make up funny skits with friends then put on a show for parents and neighbors. Choose household products and create silly advertisements.
Make up goofy songs or poems about each product and dress up for the part. Be sure to videotape the skits for hilarious family memories.
Put together a winter emergency kit. Include spare hats, mittens, scarves, and boots, a flashlight, and other items in case you get stranded. Your home kit should include items for a snow-in or power loss. Have everyone work together to create a list and gather items for the kits.
String a snowflake streamer. Make snowflakes by folding white paper several times and then trimming different shapes around the edges. Open the snowflakes then string them on a piece of yarn, and hang it across the room.
Visit the library to snuggle up for a relaxing read. When you arrive, learn how and where to find books on your interests such as sports, science, or a hobby. Then choose several books to bring home. Don’t forget to check out music CDs, audiobooks, videos, computer games, and magazines for plenty of indoor entertainment.
Getaway at a weekend resort. Check your travel agency for one of the many winter resorts for outdoor enthusiasts that offer activities and accommodations for the whole family. Try downhill or cross country skiing, snowshoe excursions, and more.
Make a winter-safety trivia game. Buy a pack of small index cards. Then write a question on each card related to winter safety with the answers written below. To play the game, take turns reading the questions while other players shout their answers. The first person with the correct answer scores a point.
Kimberly Blaker is a freelance writer. She also owns an online store, Sage Rare & Collectible Books, specializing in out-of-print, scarce, signed, and first editions and fine bindings at sagerarebooks.com
Meadowlark Botanical Gardens 9750 Meadowlark Gardens Ct, Vienna, VA
November 11-December 8, 5:30-10pm December 9-January 8, 2022, 5-10pm TIX $16-18
Take a half-mile walk on a paved path through Meadowlark Botanical Gardens to enjoy dazzling holiday light displays and a magnificent light show set to music. Tickets will be sold online only for prime nights (December 9January 8).
Fairfax High School 3501 Lion Run, Fairfax, VA November 19-20 10am-3pm
TIX start at $5 Fairfax City’s Parks & Recreation Department welcomes you to our 36th annual Holiday Craft Show, November 19, 10am to 5pm and November 20, 10am to 3pm at Fairfax High School, 3501 Lion Run, Fairfax, VA 22030. What started out in 1987 as a very small show has grown to become a premium arts and crafts festival. Artisans from all over the United States, including many local artists, are participating in this year’s show and we are delighted to be able to offer you so many wonder ful holiday gift choices. There really is something for everyone on your shopping list. Please take your time and visit all the areas of the showyou won’t want to miss a single one. Take a rest during the show to enjoy a hot lunch.
Reston Town Center 11900 Market St, Reston, VA November 25 11am-10:30pm
The one-of-a-kind, one-hour, half-
Meadowlark Botanical Gardens November 11-December 8
mile parade along Market Street welcomes the arrival of Santa and Mrs. Claus in a horse-drawn carriage. Rain or shine, the parade has been an annual tradition on the day after Thanksgiving. After the parade, enjoy Mini-Train rides until 4:30PM. The Clauses will return for the Fountain Square Tree Lighting at 6PM. Afterward, on Market Street, horse-drawn carriage rides continue from 6PM-10PM. Proceeds for the carriage rides benefit local charities. And don’t forget… the acclaimed Ice Skating Pavilion is open throughout the holidays.
Presented in Partnership with Reston Town Center Association and Reston Community Center. Nominated for the USA Today 10 Best 2021 Readers’ Choice Award for the Best Holiday Parade.
Echoes, the Manassas Museum Store Historic District, 9431 West St, Manassas, VA November 26
10am-3pm
Welcome to the Old Town Manassas Christmas Fair and Holiday Craft Show at the Manassas Museum on the lawn where over 60 artisans, crafters, independent consultants, and other local small businesses are looking forward to showcasing their products, just in time for the holidays!
From arts and crafts to jewelry and baked goods, to body and hair care, our vendors have everything you wish to surprise your loved ones with!!
Find your Perfect Gift for your loved ones at the Old Town Manassas Christmas Market and Holiday Craft Show! Happy Shopping!
TOA Waters will be hosting a tent filled with our best bubble baths and bath accessories. We’ll also be raffling away one of bubble bath gift packag es. Be sure to stop by and say hello! This event is hosted by Chic Events DC.
Old Town Square, North St, Fairfax, VA December 2-11 Free
Shop for holiday gifts from local artisans and small businesses at the Fairfax City Holiday Market. The vendors at the market will be different each weekend, so check the website for more details. The market hours are as follows: Fridays: 5-8pm Saturdays: 12-6pm Sundays: 12-5pm
McLean High School 1633 Davidson Rd, McLean, VA December 10 10am-3pm Free
Something for everyone! Come one, come all for a day of indulgence. Enjoy some food and drinks while listening to live entertainment from the McLean High School.
The PARC at Tysons 8508 Leesburg Pike, Vienna, VA December 10 12-5pm Free
It’s the most wonderful time of the year – celebrate the holiday season with local makers, crafters, and arti sans from the Fairfax area! Visit The PARC at Tysons the first 3 Fridays and Saturdays of December for a pop-up shop of local artisans and small businesses offering their unique holiday-inspired goods and gifts! We’re sure you’ll find something for even the hardest-to-shop-for person on your list!
Each weekend The PARC in Tysons will be transformed into a festive winter village, featuring a local holiday market and (free!) snowtas tic activities for the whole family to
enjoy!
This event is free and open to the public! There is no cost or registra tion needed to attend. Additional items, such as food, beverages, and merchandise have a cost.
The Holiday Market will be located indoors, however, some activities may be outside!
NATIONAL CHRISTMAS TREE LIGHTING CEREMONY 2022 December 1
The Ellipse in Washington DC
Since the 1920s the National Christ mas Tree Lighting has become one of the major holiday season attractions in Washington. The living tree is decorated in the northeast quadrant of The Ellipse near the White House. Every President since Franklin D. Roosevelt has flipped the switch and given a speech at the ceremony. The lighting scheme of the tree is espe cially beautiful. CNN in 2013 called the National Christmas Tree the sixth most beautiful Christmas tree in the world. The ceremony features many popular performers as well as young talents.
MCLEAN HOLIDAY ART & CRAFTS FESTIVAL
McLean Community Center 1234 Ingleside Ave, McLean, VA December 2 7am–7pm
Founded in 1982, The McLean Holi day Art & Crafts Festival is a highly anticipated and much beloved indoor, juried show featuring art and crafts made by approximately 80 regional artisans, as well other holiday-in spired activities. These handcrafted works include pottery, glass, jewelry, holiday decorations, mixed media, accessories, wood, fine art, artisanal foods, soaps and skin care, and more.
The festival focuses on fine art and crafts, welcoming both established and emerging artisans exhibiting
innovative concepts executed with exceptional style and detail. Works in all media (as defined in Rules/ Regulations) and price ranges will be considered. The goal is to create the most diverse show possible for our loyal and motivated attendees.
KIDS’ HOLIDAY TREATS
McLean Community Center 1234 Ingleside Ave, McLean, VA December 17 12-30pm-2:30pm $56
Kids ages 8-12 years old will make, then take home these classic and de licious holiday treats: Cream Cheese Peppermints; Viennese Coffee Balls; Confetti Coconut Candy Drops; Chocolate Covered Pretzel Rods with Sprinkles.
HOLIDAY ARTS AND CRAFTS SHOW
Herndon Community Center 814 Ferndale Ave, Herndon, VA December 4 10am-4pm Free Admission and Parking! Over 70 artisans and craftspeople will exhibit and sell their work at this annual arts and crafts show sponsored by the Town of Herndon Department of Parks and Recreation. A variety of handcrafted items and fine art will be on sale including wreaths, jewelry, Christmas orna ments, decorations, original artwork, photography, stained glass, and more. Delectable homemade goodies and treats will also be for sale including cookies, macarons, salsas, and dip and soup mixes, to extra flavor to your holiday and gift-giving!
AMERICAN FESTIVAL POPS ORCHESTRA HOLIDAY POPS: SONGS OF THE SEASON Center for the Arts 4373 Mason Pond Dr, Fairfax, VA December 10 8-9:30pm
$60
Just hear those sleigh bells jingling, ring ting tingling too. Come out to the Center for the Arts for timeless holiday favorites with the American Festival Pops Orchestra. This beloved tradition starts the season off on a festive “note” with treasured classics that warm the heart and soul! Join us as we welcome newly appointed Artistic Director and Conductor Peter Wilson, along with a special guest appearance by Conductor Emeri tus Anthony Maiello, among other musical treats. You and yours—even the “bah humbug” Scrooges—are sure to leave aglow and flush with holiday spirit.
Ornery Beer Company
3950 University Dr Suite 106, Fair fax, VA December 17 9-11pm Free
Come dressed in your ugly sweater and win prizes! Come laugh with the hilarious
headliner Jon Yeager! He has a great line-up of comics! All ages welcome NOTE- adult content
Make it a date night, hang out with friends or come solo for a fun night! Food, Fun, Drinks and Laughs!
“CHRISTMAS IN FAIRFAX” CITY BAND @FAIRFAX HIGH SCHOOL
Fairfax High School Theatre 3501 Lion Run, Fairfax, VA December 17 7-8:30pm Free
The Fairfax Choral Society performs in this annual holiday performance with the City of Fairfax Band. This fan-favorite event is free; tickets are required for all ages.
7750 Capital One Tower Road Tysons, Virginia 22102
With a passion for the arts, pride in our headquarters in Tysons, Virginia and a firm commitment to serving our community, we pursue a mission
703.556.0780 8466-E Tyco Road Vienna, VA 22182
of creating a welcoming experience and an occasion of “the magic of theater” for every patron and for each performance and event. www.capitalonehall.com
ALTON BROWN LIVE: BEYOND THE EATS - THE HOLIDAY VARIANT November 18 7:30pm–10:30pm
Alton Brown is hitting the road with a new culinary variety show. Audi ences can expect more cooking, more comedy, more music and more poten tially dangerous science stuff. Prepare for an evening unlike any other and if Brown calls for volunteers… think twice.
Television personality, author, Food Network and Netflix star Alton Brown will be heading out on his Alton Brown Live: Beyond The Eats –The Holiday Variant tour this holiday season. He is the host of Top 10 new Netflix Iron Chef reboot “Iron Chef: Quest for an Iron Legend.” Brown says fans can expect “more cooking,
more comedy, more music, and more potentially dangerous science stuff with a sprinkle of seasonal spices. Plus, you’ll see things I’ve never been allowed to do on TV.” Critics and fans have raved about the interactive components of Brown’s shows.”
TOOTSIE November 25-27 Times vary TIX start at $63.50 Call it “musical comedy heaven” (Rolling Stone). Call it “the most up roarious new musical in years!” (The Hollywood Reporter). Call it TOOT SIE! This laugh-out-loud love letter to the theater tells the story of Michael Dorsey, a talented but difficult actor who struggles to find work until one show-stopping act of despera tion lands him the role of a lifetime. Featuring a hilarious Tony®-winning book by Robert Horn and an outra geously clever score by 2018 Tony-win ner David Yazbek (The Band’s Visit, Dirty Rotten Scoundrels), this New York Times Critic’s Pick is “a joyful
delight” (The Washington Post) that’s “so packed with punchlines, it should be called a jokebox musical!” (Bloomberg). “In these turbulent times, when the world seems out of balance, we need a place to let the good times roll,” raves Rolling Stone. “TOOTSIE is it!”
January 20-22 Times vary TIX start at $63.50 You Can’t Stop the Beat! HAIR SPRAY, Broadway’s Tony Award-winning musical comedy phenomenon is back on tour! Join 16-year-old Tracy Turnblad in 1960’s Baltimore as she sets out to dance her way onto TV’s most popular show. Can a girl with big dreams (and even bigger hair) change the world?
1635 Trap Rd Vienna, VA 22182 www.wolftrap.org
A Joyful Christmas November 27 3pm and 8pm TIX start at $34 It’s the most wonderful time of the year! Ivers and her band celebrate the glorious story of Christmas, thoughtfully, uniquely, and with pure unbridled joy! Ivers’ Irish and American roots shine throughout the evening’s beautiful mix of tra ditional, story-filled, age-old Wren Day songs, poems, and of course, foot stomping and hollerin’ roots music.
November 30 8pm TIX start at $32
San Francisco-based, classically trained pianist Holly Bowling is ac claimed for her reimagining of songs by the Grateful Dead, Phish, and other jam legends on piano. Texture, nuance, and a gift for dexterous high-wire improvisation are hall marks of Bowling’s piano playing as she infuses jam band music with a technically advanced, emotionally rich style.
Heart of Christmas
Music Direction by Tommy Fara gher December 1 8pm
TIX start at $37
In the tradition and style of Frank Sinatra, Mel Tormé, Bing Cros by, and Nat King Cole, Tony and Grammy-winner John Lloyd Young inspires a sense of wonder as he finesses every syllable with wistful, emotionally direct renderings of holiday favorites including “Silent Night,” “O Holy Night,” “Joy to the World,” “White Christmas,” and many more.
The Farewell Concert Chamber Music at The Barns December 9 7:30pm
TIX start at $45
The Emerson String Quartet, one of the most incomparable chamber en sembles in classical music, embarks on its farewell season in 2022 and is set to disband in October 2023. In a farewell to Wolf Trap, they turn to Beethoven by concluding this program with the iconic Grosse Fuge. Don’t miss the opportunity to hear the Quartet for one last concert in the intimacy of The Barns.
8pm
TIX start at $47
From the nascent sound of blue grass that charmed honkytonks, schoolhouse stages, and the Grand Ole Opry, to the present-day cul ture-buzz of viral videos and digital streams, Del McCoury has main tained a legacy like few others. The Del McCoury Band, which includes Del’s sons Ronnie and Rob, charms every audience they meet and wel comes a growing musical communi ty while advancing bluegrass music and heritage.
Gilbert Kalish, piano Chamber Music Society of Lincoln Center
Chamber Music at The Barns January 22 3pm TIX start at $37
The Chamber Music Society of Lin coln Center presents an all-Schubert program that shares an in-depth look at the late works of Schubert featuring the brilliant pianist Gil bert Kalish and the Escher String Quartet. Schubert never finished his Quartettsatz, and both his Piano Sonata in B flat and G Major String Quartet were the last he wrote in both genres. This is a rare and gor geous, not-to-be-missed program.
January 25 and 27 8pm
DEL MCCOURY BAND January 19-21
TIX start at $42 Iconic pianist George Winston has inspired fans and musicians alike with his singular solo piano songs for more than 40 years. Winston’s music is evocative, offering audi ences a chance to take a step back and let their minds adventurously wander. v
The recent pandemic really took a bite out of area movie theatre attendance. Especially for the ShowPlace ICON Theatre & Kitchen at The Boro, which had the unfortunate luck to open just days before the world shut down.
Now that things are “opening up” again, you should make it a point to visit this extraordinary movie theatre. Not only to support your local arts, but to spoil yourself in the luxuries that make a visit to the Tysons ShowPlace ICON a special experience.
Spanning 72,000 square feet, the ShowPlace ICON and Kitchen is a boutique theatre offering leather recliner seating, craft and specialty cocktails, and a menu of chef-inspired foods.
Get there early to enjoy a freshly-prepared meal in the Lobby Lounge, a cute bistro featuring the ICON bar. Explore the newly-expanded menu of food creations like perfectly-sized appetizers, a full-plate entrée, or dessert from the Kitchen menu. Each selection is cooked to order by the ICON culinary team using the freshest ingredients. A variety of sandwiches, pizza, bowls and fries are also offered.
During our visit, we were delighted by the absolutely delicious Angus Beef Sliders with melted Provolone and bacon jam on a butter brioche bun and a scrumptious Ahi Tuna Poke Bowl served with sushigrade tuna on coconut Jasmine rice. And of course, we had to top off our meal with the warm donut bites dusted with powdered sugar that reminded us of the fresh beignets we enjoyed in New Orleans. More please! (EXTRAS members enjoy 20% off all food and non-alcoholic drink
items. You also have the option of free delivery right to your seat.)
A wide variety of martinis, “on the rocks,” frozen, and mixed drinks are on the bar menu, along with a large assortment of locally-sourced beer, wine, and even milkshakes. Be sure to ask about the current signature cocktail that they’ll mix before your eyes.
Traditionalists are amazed at the wide assortment of foods at the Concessions stand. When the café is closed during certain performances, or when you just want a snack with your movie, this is a great option. Here you’ll find a shorter list of concession cocktails, beers and wines, along with soft drinks, icees, milkshakes, ice cream, candies, and hot items like hot dogs, chips & nacho cheese, and Bavarian pretzels.
And don’t get me started on the popcorn options. In addition to soft, buttery popcorn, you can get homemade caramel, cheddar or ICON popcorn! Order from any kiosk or on the app, then pick up your snacks at the counter and head to your seat for the main event that can include a feature movie, concerts, a Metropolitan Opera live or Encore broadcast, a film festival, or a special screening.
With full bellies and our bags of popcorn, we snuggled into our superluxurious recliners to enjoy the show, with its adjustable head and foot rests, swivel tabletops, and individual heating elements built right into the chair. That’s right. Heated seats!
Use of the Dolby Atmos® system surrounds you with sound from more than 60 speakers from all directions, including overhead, to provide an immersive 3D-style experience. They take it to the next level with seven full channels of Dolby® Surround 7.1 that enhances the audio definition.
Other technology includes 4K UltraBright smart laser projectors offering crystal-clear high-resolution 2D and 3D immersive environments, and RealD Ultimate Screen, the world’s largest 3D cinema platform with wall-to-wall screens that allow for 85% more light and a sharper, more beautiful image.
Hearing- and visually-impaired guests have access to personal devices for displaying captioning and narration describing the on-screen action, and headsets for adjustable volume controls. Request a device at the box office or Guest Services.
VIP Reserved seating offers a guaranteed seat in the luxurious Red Carpet Recliner, with personalized ICONIC service. VIP 21 Plus Premium Reserved Seating for those aged 21 and up, and VIP 7-17 Reserved Seating for aged 7-17 for G, PG or PG-13 films is also available, with an accompanying adult. Check with the theatre for dates, times and options.
Tickets can be ordered in advance online or via the app, and are sold at an in-theatre kiosk or the box office. Children’s tickets are available for certain ages and movie ratings (check with the theatre), and senior pricing is available for those age 60 and up. Ample parking is available in the deck below the theatre. For free parking, validate your parking ticket in the lobby before you leave.
Enjoy more benefits with an EXTRAS Membership to save on upgrades and select concession items, along with invitations to special members-only events and screenings. Members receive customized content to enhance their ICON experience, and never have to pay ticket purchasing fees when buying through the website or the ICON EXTRAS mobile app.
An ICON EXTRAS Membership is available for free with registration and your agreement to receive marketing emails from ShowPlace ICON Theatres. Pick up your membership card at the Tysons ICON theatre and use it to receive your discounts.
After a hectic day at work, it was such pleasure to attend this luxurious theatre, have a great meal, and watch a fun movie. We’ll be back, and hope we’ll see you there too. v
ShowPlace ICON Theatre at The Boro
1667 Silver Hill Dr McLean, VA 22102 (703) 424-2030 www.showplaceicon.com
Our 13,000 email subscribers from the greater Tysons and Reston area are waiting to be engaged by the content we share with them. Our Dedicated Emails allow your business to share your videos, promote your products and services and convert our subscribers to buyers of your brand. This interactive media creates interest in your content and drives consumers to your website.
Our 13,000 email subscribers from the greater Tysons and Reston area are waiting to be engaged by the content we share with them. Our Dedicated Emails allow your business to share your videos, promote your products and services and convert our subscribers to buyers of your brand. This interactive media creates interest in your content and drives consumers to your website.
Maybe you are struggling with feeding your newborn baby, and a fellow parent, Facebook friend, or Pediatrician has told you about a lip or tongue tie that might be at the root of your troubles. Now what?
It can be an overwhelming thought that our little one might need a ‘procedure’, but don’t fret! In Northern Virginia, we are blessed to have many ways of getting help!!
Here are some “basics” and quick tips for the best preparation if you are looking to schedule a Lip & Tongue Tie Consultation for your infant.
Begin by reaching out to an IBCLC (International Board Certified Lactation Consultant) that is experienced in caring for babies with ‘tethered oral tissues (TOTs)’ aka lip and/or tongue tie. If TOTs are interfering with proper function, they may have some great recommendations for release (frenectomy) providers who have the training and experience with oral assessment. These providers have the proper tools for a thorough frenectomy procedure like a Waterlaser.
You can call or text our office to schedule your virtual or in-person consultation. You will be given a link to complete all pre-appointment questionnaires. If you complete the paperwork right away, this gives the office team the best opportunity to help you with any medical or financial/insurance
considerations prior to your appointment. Pro Tip: Try to make sure that both parents/caregivers are able to attend so that everyone benefits from the education and instructions.
The doctors will perform a detailed exam and have a conversation about clinical oral findings including anatomy of tongue, lips, buccal/ cheeks, jaw size/shape/position and their impact on function. The doctors will review current symptoms and future considerations. This is the best time to discuss the benefits, risks, aftercare, any other medical concerns and optimal timing for procedure with your doctors in detail. Above considerations are reviewed and ruled out, we are always happy to schedule procedures for babies so that we are minimizing the number of appointments for your little one.
Plan to keep your schedule clear post procedure (no travel or major activities) and arrange for support at home with siblings if needed.
If you have any questions, please reach out to the office, and we will be happy to make sure you feel 100% prepared for your visits with us!
Dr. Rishita Jaju & Dr. Anh Dang Board Certified Pediatric Dentists 571-350-3663
11790 Sunrise Valley Drive, Suite 105 Reston, VA 20191 www.smilewonders.com
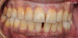
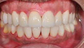
Dr. Zina Alathari
Family and Cosmetic Dentistry
ZINA ALATHARI, DMD
Dr. Zina Alathari is a graduate of Tufts University School of Dental Medicine. In addition to her general dentistry training, Dr. Alathari takes continuing education each year in advanced clinical procedures and technologies. Her wide range of service to the public has given her experience to understand each patients individual needs.
Contact Us Today and Schedule an Appointment! 703-237-5600 | smiles@tysonsdentalcorner.com 7121 Leesburg Pike, Suite 204 | Falls Church, VA 22043 www.tysonsdentalcorner.com
Elden St, Suite 2 Herndon, VA 20170 1-866-4 CORE iV 1-866-426-7348
Ava Music School in Vienna takes steps toward educating all communities of the DC and Virginia to grasp a better understanding of music. We offer private and group music lessons. Being aware of the significant therapeutic effects of music and arts in the development of mind and spirit of humans of all ages and specially the children, makes us strong believers in what we have undertaken.
311 Maple Ave W, Unit K | Vienna, VA 22180 703-577-4324 | www.avamusicschoolllc.com
• This Tysons Corner Office Building has a wide range of large to small offices to suit your needs!
• Across the street from Tysons Corner Center, Tysons Galleria Mall, the Greensboro Silver Line Metro, and surrounded by the vibrant neighborhoods of Tysons Corner and Falls Church.
• Located conveniently on Route 7, inside the Beltway, and down the road from the West Falls Church Metro!
• Easy access to I-495 HOT Lanes, Dulles Toll Road, and I-66!
Vienna | American | $$$
Set on historic Church Street in the heart of Vienna, Bazin’s on Church continues to exceed the expectations of the town’s discriminating diners. Chef Patrick Bazin’s modern American cuisine is simply extraordinary. Stop in for a drink at the bar or a delicious meal in their comfortable and casual dining area. Reservations are strongly recommended.
111 Church St. | 703.255.7212 www.bazinsonchurch.com
Vienna | Greek-Italian | $
Specializing in Greek and Italian cuisine with American favorites, Maggio’s offers award winning Mediterranean selections such as Greek festive rotisserie chicken, classic gyros, souvlaki, moussaka, pita wraps, and falafel, as well as their popular marinated flame broiled lamb chops, and Italian specialties. Committed to healthy eating, they use only the freshest, high quality ingredients and cooking methods.
21 Maple Ave E | 703.938.7777 www.maggiosvienna.com
Vienna | Italian | $$
Warm and romantic, Bonaroti’s is a favorite of Italian fine dining patrons. Enjoy an extensive wine list and culinary creations made of the freshest and finest ingredients from Italy. There is everything from calamari to antipasti dishes and entrées of seafood, veal, and lamb.
428 Maple Ave E. | 703.281.7550 www.bonarotirestaurant.com
Vienna | Greek | $$
Presenting a fresh take on Greek cuisine, Nostos offers fresh food in sharing-sized portions. Try one of their 50 different wines from different regions of Greece to complement your lunch or dinner. The menu showcases new and traditional Greek dishes, as well as fresh fish from the Mediterranean Sea. 8100 Boone Blvd. | 703.760.0690 www.nostosrestaurant.com
Vienna | American | $$
Great beer and cocktail selections. The blue crab and shrimp fritters come highly recommended. French dip sandwiches, shoestring fries. You can’t go wrong with this family chain by Great American Restaurants.. 8051 Leesburg Pike | (703) 552-5100 www.www.patsysamerican.com
Reston | American | $$
Enjoy fun and eclectic cuisine from every corner of the globe. Not Your Average Joe’s began with the goal to create a unique neighborhood place where people know your name, where the food and prices are great, and where you feel special without dressing up. The large restaurant features a full bar, two seasonal outdoor patios, an open kitchen, and a woodburning oven, all in a bright and polished atmosphere.
1845 Fountain Dr. Reston, VA | 571-234-8200 www.notyouraveragejoes.com/reston/
Fairfax | Italian | $
Stop at a bar along the piazza in sunny Sardinia, or linger at a trattoria in Venice’s San Marco Square and you will be invited to experience cicchetti (chi-KET-tee), small plates or side dishes from the legendary cuisine of Italy. Now you can also enjoy cicchetti closer to home, at Dolce Veloce. These small plates offer a variety of flavors, from seafoods, salumes, and salads to skewered meats, risotto, and Mediterranean plates of olives and cheese.
10824 Fairfax Boulevard | 703.385.1530 www.dolcevitaitaliankitchenandwinebar.com
Vienna | French | $$
Touted as the most romantic dinner in Northern Virginia, Cafe Renaissance is an elegant restaurant in the true sense of Parisian tradition and is Vienna’s most sophisticated dining experience. An old-world destination with an enormous wine list and ornate, gilded rooms, its cuisine is classic French with a modern twist and an Italian accent.
163 Glyndon St SE | 703.938.3311 www.caferenaissance.com
Herndon
This upscale, white-tablecloth Tuscan-Italian restaurant serves pasta, seafood and popular veal chops. If you are looking for a quiet Italian dinner in Herndon, this is the place. They have great food, amazing service and make a wonderful cappuccino.
728 Pine St, Herndon, VA | 703-318-7000 zeffirelliristorante.com
Great Falls | French | $$$
Internationally acclaimed, L’Auberge Chez François transports diners to the Alsatian countryside in this rustic French country inn, nestled among lush woods and fragrant gardens. Well-known as the place to celebrate special occasions for more than 60 years, L’Auberge Chez François offers an authentic menu, full of the flavors of Alsace and traditional French cuisine. Expect professional fine dining service, extreme attention to detail in a casual yet elegant atmosphere. Reservations recommended. 332 Springvale Rd, Great Falls, VA | 703.759.3800 www.laubergechezfrancois.com
Bolay Fresh Bold Kitchen is debuting its first Virginia restaurant in Falls Church, Va. at 1208-D W Broad St. with a grand opening on Sept. 22, 2022. Its healthy, gluten-free, build-your-own ‘Bol’ concept of greens, grains and proteins is a signature item for the restaurant, while providing a fast, casual dining experience, and providing corporate and special event catering service as well. It’s noted for its global flavors of special spice blends, sauces, and menu items like forbidden black rice, spicy Thai shrimp, cilantro pesto noodles and balsamic mushrooms. On Sept. 22st, the first 100 guests on grand opening day will receive a free Bol each month for one year through the BolayGo App. During Bolay VIP Week, starting Sept. 22, guests will receive a free Bol when they redeem their registration ticket at the cash register. Customers can register for VIP Week, by going to Bolay’s website at https://www.bolay.com/ locations/falls-church-va.
The Bolay restaurant concept was founded in 2016 by Bolay CEO, Chris Gannon, son of Outback Steakhouse cofounder, Tim Gannon. The idea was to bring flavor and healthy ingredients to a fast casual dining experience. Bolay knows that people are on the go and are looking to get healthy options. Whether your managing family dinner for your family or looking for a quick, lunch on you work break, Bolay’s vegan and meat-based Bol’s providing an energizing, flavorful meal to support a healthy lifestyle.
Bolay of Falls Church, Va. is led by its dynamic, general manager, Erik Ashton, long-time Reston, Va. resident, who has worked in the food and beverage industry for more than 25 years. Ashton most recently worked with the Great American Restaurant management team in Tysons Corner Va. The former certified ski-
instructor and licensed tour guide is an avid traveler, and names New Zealand as his favorite destination, where he got to heli-ski, (when you take a helicopter to access backcountry ski runs that are otherwise very difficult to reach.) Ashton resides in Reston, Va. with his wife and newly rescued cat.
“Bolay is about energizing, healthy foods that help us be at our best and feel our best; we want to inspire our Bolay team and our guests to be the best versions of themselves,” said Erik Ashton, general manager of Bolay Fresh Bold Kitchen of Falls Church, Va. “I’m thrilled to introduce the Bolay experience to Northern Virginia and eager to create so many new, job opportunities for our community,” said Ashton.
Outback Steakhouse co-founder Tim Gannon and his son, Chris Gannon, created Bolay Fresh Bold Kitchen, headquartered in Wellington, Florida. The build-your-own ‘Bol’ restaurant takes a customizable and modern, healthy approach to fast, casual dining. The menu, designed by Michelin-star chef Robert Pugh, is noted for its nutritious all gluten-free menu of greens, grains, proteins, spice blends and sauces. Bolay has established 22 restaurants in Florida, and recently expanded to Falls Church, Va., Gainesville, Va. and Alpharetta, Georgia.
To learn more about Bolay Fresh Bold Kitchen in Falls Church, call (703) 9362019 or visit www.bolay.com, Facebook, Twitter and Instagram @bolay.
ASHA Sedalia Bruot, MPA | President & Founder | ASHA Public Relations, LLC | 703.501.1625| www.ashapr.com | Facebook @ASHA Public Relations, LLC | Twitter @ ashapr| Instagram @ashaprdc | LinkedIn @ ashabruot
The theatre is buzzing with excitement before each performance of Sly’s Magic show as audience members anticipate a wonder-filled evening. Then the “curtain rises” and the show begins. The thing is though, there’s no actual curtain. So the audience sees everything.
StageCoach Theatre is proud to add a monthly show filled with comedy and magic to its slate of entertainment offerings, in a production that is packing in audiences. No matter where you sit in the small theatre you are up close to the magic performances and have an intimate connection to what’s going on on stage. You can also volunteer to participate in acts, which only adds to your fun.
The show is named for its headliner, Alec Negri, who goes by the stage name “Sly.” Hence, Sly’s Magic.
It is composed of a troupe of six professional magicians who are members of the Society of American Magicians (SAM) and the International Brotherhood of Magicians (IBM) and who share their decades of experience in a full-length Vegas-style show filled with comedy and unbelievable magic. Be aware: this show is not kid’s magic. It is a sophisticated show designed for adults and older children ages 10 and up.
“A couple of years ago, an audience member recommended that a magic show would be a good addition to our slate of performances,” explains Jerri Wiseman, co-owner of StageCoach Theatre. “We liked the idea since we try to encompass all the performing arts. Magic is one of those.”
Because the theatre is adamant about offering only the highest-quality entertainment, Wiseman had Sly interview with all the owners and give a few sample shows. They and the audiences loved it. From there, the show began to grow in both length and popularity. Other magicians were added, along with professional props, backdrops, music and lighting. Under Sly’s leadership and vision, it has evolved into an actual Vegas-style show. It is the only ongoing magic show in Northern Virginia.
Prior to the pandemic, shows were sold out long in advance, and Sly’s Magic was selected as one of the “Top 10 Things to Do in Northern Virginia” by Northern Virginia magazine. Now, the audiences are building again, so advance reservations are recommended. Tickets are available at the door if the show is not sold out, and the show is live-streamed as well. For dates, information, tickets and reservations, visit https://www.stagecoachtc.com/slysmagic/.
The show follows a format in two acts. And although it may not be totally different each time, there are always fresh things to experience. You might see new tricks, alternate magicians or themed shows, for example, and the audience’s reactions are always different. Their responses can affect the magicians’ performances, making each show totally unique.
Alec Negri, or Sly, began performing magic at the age of seven after receiving a magic kit as a gift. His first paid performance was at age 12 for a sevenyear-old’s birthday party. For more than 30 years, he has performed thousands of shows ranging from home parties to Fortune 500 companies, bringing his unique combination of magic, mentalism and humor to audiences across the DMV.
Sly closes the show with a feature-length performance that spans the full range of magic effects. He’ll have you laughing one minute, gasping in awe the next, and jumping out of your seat with delight.
The five other troupe magicians perform throughout the first half of the show:
Magician Bob Ellis, performing as MisterE, started performing magic during his career as a science teacher, using it to demonstrate scientific principles like gravity to incentivize middle schoolers to learn. You’ll see how he uses science to influence his act and wonder, “How is that possible?”
Grand stage illusions—like levitation or making people appear or disappear—is the specialty of magician Greg Clements, who generally works with magician’s assistant Vicky Ting. His dramatic flair grabs your attention from the moment he steps onto the stage until you let out your last sigh of relief when all goes well.
With the show’s popularity, StageCoach Theatre is expanding its magical offerings with a series of master classes in magic, taught by Sly. Both children’s and adults’ classes are scheduled. To sign up, contact the theatre.
Greg Clements in straightjacket. Sly (Alec Negri) with Magic Show volunteers Photo credit: Jerri WisemanMagician Sunnier Sun is the latest addition to Sly’s Magic. As the 2022 winner of Magician of the Year in IBM’s National Capital Ring, his performance is nothing short of dazzling. He performs his entire act like a ballet set to music— without words. Don’t take your eyes away for a second or you’ll miss something!
Rounding out the company is magician Linda Barrett, who serves as host to introduce acts, add a bit of humor, and tie the performances together.
“I find there are two types of people who come to a magic show: those who want to watch and be astonished, and those who desperately try to figure out what you are doing,” Clements described. “It’s great when the audience lets themselves be engrossed in the magic and enjoy being amazed by what they are seeing.”
Some audience members come simply to be entertained and awed. Those familiar with magic keep a close eye on the magicians hoping to catch them in some of the basic principles like misdirection, steals, loads and ditches. I say good luck. Even after watching the show numerous times, you won’t figure out how they do it. They’re that good!
“What’s fun for me is seeing the surprise on peoples’ faces, and hearing them laugh and gasp in awe,” Negri said. “That’s the experience of performing—hearing and watching their reactions. My goal is to give a unique experience they’ll remember for a long time.”
“A live magic show will keep you on the edge of your seat,” Ellis added. “Watching something on TV is nothing like a live show where anything can happen—and does.” And yes, they do mess up from time to time. That’s the fun and beauty of live theatre. “The sharing of the magic is wonderful, it involves you and the human experience, and captures a sense of wonder.”
When you’re looking for something different to do on the weekend, check out Sly’s Magic at StageCoach Theatre. Believe me, you’ll be talking about what you see—or don’t see—for weeks to come!
StageCoach Theatre Company
20937 Ashburn Rd., Suites 115 & 120 Ashburn, VA 20147 571.477.9444 Stagecoachtc.com/slys-magic
Christopher E. Bonacci, DDS, MD
361 Maple Ave W #200 Vienna, VA 22180 703.255.9400 drbonacci.com
EXPERTISE: Board Certified by the American Board of Oral and Maxillofacial Surgery. Past Chairman of the Department of Oral and Maxillofacial Surgery, Division of General Surgery, at the Reston Hospital Center. Fellow, American College of Dentists.
Han & Ahn DMD, PC 6845 Elm St #450 McLean, VA 22101 703.356.7001 www.mcleandmd.com
EDUCATION: University of Pennsylvania
EXPERTISE: Achieved dual specialty certificates in both Periodontics/Implantology and Periodontal Prosthesis (Advanced Restorative, Cosmetic Dentistry) and recognized as a Diplomate of the American Board of Periodontology.
Airway and Sleep Group
11800 Sunrise Valley Dr., Suite 200, Reston, VA, 20191 703-646-9950 www.airwayandsleepgroup.com
EDUCATION: National Autonomous University of Mexico City
EXPERTISE: Dr. Calkins has become well versed in the areas of dental sleep medicine, craniofacial orthopedics, nasalveolar molding for infants, along with diagnosis and treatment for Temporomandibular Joint disorders.
Garai Orthodontic Specialists
427 Maple Ave W Vienna, VA 22180 703.281.4868 www.bracesvip.com
EDUCATION: Eastman Dental Center, University of Rochester
EXPERTISE: Served as attending faculty and taught lingual “invisible” orthodontics in the postdoctoral orthodontic program of Children’s National Medical Center and Washington Hospital Center. Diplomate by the American Board of Orthodontics.
Island Children’s Dentistry
1500 Cornerside Blvd #310 Tysons, VA 22182 703.790.1320 www.islandchildrensdentistry.com
EDUCATION: TUFTS University in Boston, MA
EXPERTISE: Diplomate of the American Board of Pediatric Dentistry, a Fellow of the American Academy of Pediatric Dentistry and a member of the American Dental Society of Anesthesiology. Using the latest techniques and equipment.
Novel Smiles
8180 Greensboro Dr #100 McLean, VA 22102 703.942.8882 www.novelsmiles.com
EDUCATION: George Washington University
EXPERTISE: Awarded both his Fellowship and Mastership in the Academy of General Dentistry (AGD). Member of American Dental Association, Virginia Dental Association, Academy of General Dentistry, and the American Academy of Cosmetic Dentistry.
Wine enthusiasts are rewarded with a little extra this holiday season with Encore Pour.
Followers of the Virginia Wine Love Facebook group were delighted with the presentation of Encore Pour, a promotion designed to get people out to Virginia’s wineries during the colder months, and to introduce wine enthusiasts to special wines only available this time of year. At first, the promotion was targeted towards the Facebook followers, but it has caught on with those outside the group, and is now available to anyone who knows the “special password.”
So far, more than 35 wineries throughout Virginia have joined Encore Pour, with more to come. Find a complete list at Virginia Wine Love’s website at https://
www.virginiawinelove.com/ or join the Facebook group at https://www.facebook. com/groups/206245544030181. (While on the website, subscribe to the Virginia Wine Love News for wine industry news, travel tips and insider offers.)
The Encore Pour promotion runs between October and December 31st, 2022. To partake, all you have to do when you purchase a tasting or a flight is mention Virginia Wine Love and the Encore Pour to get an extra pour of spiced, mulled, Port-style, chocolate, limited-edition, and other fun wines! Winery personnel are happy to show off their special selections!
Encore Pour was the brainchild of Virginia Wine Love founder Nancy Bauer. “I try to think of things that will keep people going to wineries, and I thought this would be a fun promotion,” she explained. Bauer got the idea from her Facebook followers, who started asking at which wineries they could find mulled wine. “Those inquiries encouraged me to think of a way to draw attention to the holiday beverages the wineries sell and to encourage people to think about, while they’re there, bringing Virginia wine to their holiday gatherings.
Mulled wine has become quite popular, and many wineries have begun offering it this time of year. Most Virginia wineries are also presenting a port-style wine, while others are offering sparkling wine, holiday slushies, and wines they bring out only during the holidays. “These very special wines are available in very limited quantities and you can’t get them anywhere but in the wineries,” Bauer continued. “You’ll need to visit the wineries to taste and purchase them.”
Of course, I had to try out the promotion myself, and took a day off from work to visit some of the wineries on the list. Not only did I taste some of the most outstanding and unique wines not
continued on page 44
BRIEDE VINEYARDS, Winchester, Shenandoah Region. Extra pour of Arandell. (The only single varietal Arandell in Virginia.)
BREAUX VINEYARDS, Purcellville, NoVa Region. Extra pour of port-style Lineage.
BARREL OAK WINERY, Delaplane, NoVa Region. Extra pour of Winemaker’s Choice.
ARTERRA WINES & HAWKMOTH ARTS, Delaplane, NoVa Region. Extra pour of limited-edition 2019 Trilogy Red. (Rare chance to taste Fer Servadou in a blend!)
BOZZO VINEYARDS, Purcellville, NoVa Region. Extra pour of Governor’s Cup Gold Medal winner Sei What?
BRIX & COLUMNS VINEYARDS, McGaheysville, Shenandoah Region. Extra pour of port-style Six Penny Postscript.
CARDINAL POINT WINERY, Afton, Central VA Region. Extra pour of soon-to-be-released Nouveau Red.
CASTLE GLEN WINERY, Doswell Central VA Region. Extra pour of Christmas in a Glass spiced wine.
CHATEAU MERRILLANNE, Orange, Central VA Region. Extra pour of the limited edition Vinocello. November only.
CORCORAN VINEYARDS & CIDERY, Waterford, NoVa Region. Extra pour of housemade mulled wine.
DEMELLO VINEYARDS, Quicksburg, Shenandoah Region. Extra pour of seasonal mulled wine port-style Aurora.
FOX MEADOW WINERY, Linden, NoVa Region. Extra pour of Freezeland Red or mulled wine.
FIFTY-THIRD VINEYARD & WINERY, Louisa, Central VA Region. Extra pour of chocolate-infused Noche.
GOOD LUCK CELLARS, Kilmarnock, Northern Neck Region. Extra pour of (not yet released) 2021 Seyval Blanc.
HICKORY HILL VINEYARDS, Smith Mountain Lake. Extra pour of mulled wine, Saturdays in November and December.
HORTON VINEYARDS, Central Virginia Region. Extra pour of Winemaker’s Choice.
JAMES CHARLES WINERY, Winchester, Shenandoah Region. Extra pour of Cincinnatus White Port-style wine.
JOLENE FAMILY WINERY, Quinton, Central VA Region. Extra pour of season-special slushy or mulled wine.
LAKE ANNA WINERY, Spotsylvania Courthouse, NoVa Region. Extra pour of mulled warm Concerto.
LITTLE WASHINGTON WINERY, Washington, VA, NoVa Region. Extra pour of hot spiced wine.
MAGNOLIA VINEYARDS, Amissville, NoVa Region. Extra pour of blush sangria (Oct) and hot mulled white wine.
MATTAPONI WINERY, Spotsylvania, NoVa Region. Extra pour of warm mulled spice wine or warm chocolate wine.
MOLON LAVE VINEYARDS, Warrenton, NoVa Region. Extra pour of port-style Ariadne.
MORAIS VINEYARDS, Bealeton, NoVa Region. Extra pour of caramel apple sangria.
MOUNTAINROSE VINEYARD, Wise, Heart of Appalachia. Extra pour of the famous wine cocktail, OkieDokie! Oct - Dec.
NARMADA WINERY, Amissville, NoVa Region. Extra pour of port-style Allure. Oct - Dec.
NORTH MOUNTAIN VINEYARD, Toms Brook, Shenandoah Region. Extra pour of spiced holiday wine— warm or straight from the bottle.
OLD FARM WINERY AT HARTLAND, Aldie, NoVa Region. Extra pour of Sweet Vixen Dessert Wine.
POTOMAC POINT WINERY, Stafford, NoVa Region. Extra October pour of one white and one red (Winemaker’s Choice). Nov/Dec features spiced grog.
REYNARD FLORENCE, Barboursville, Central VA Region. Extra pour of Riesling 21 dessert style wine.
THE BARNS AT HAMILTON STATION VINEYARDS, Hamilton, NoVa Region. Extra pour of 1910 Port-style wine.
THE HAGUE WINERY, Hague, Chesapeake Bay Region. Extra pour of (not yet released) 2020 Chardonel Sur Lie.
THE WINERY AT KINDRED POINTE, Mt. Jackson, Shenandoah Region. Extra pour of mulled wine.
VERAMAR VINEYARDS, Berryville, NoVa Region. Extra pour of D’Ora dessert wine.
WIND VINEYARDS, Tappahannock, Chesapeake Bay Region. Extra pour of seasonal sangria.
WISTERIA FARM & VINEYARD, Stanley, Shenandoah Region. Extra pour of mulled wine.
ZOLL VINEYARDS, Dutton, Hampton Roads Region. Extra pour of your choice of cocktails, including Glühwein, Sweet Life, Silver Fox, & Dutton Sour.
A number of Northern Virginia wineries are joining in the Loudoun Heights Ornament Trail. Visit a participating winery and receive a one-of-akind handcrafted ornament with a tasting. Collect a full set!
normally available, I was delighted by the some of the other holiday promotions I saw scheduled throughout the season.
In addition to live music, wineries are offering winter activities like wine glass painting, wreath making and porch sign painting workshops, holiday open houses, Thanksgiving flower arranging, paint & sip, and even a murder mystery dinner. Check with your favorite wineries to see what’s coming up.
Don’t-miss happenings include:
n Nov 25: The “Walk Off Your Wobble” hike to the 868’ elevation at 868 Estate Vineyards on the Friday after Thanksgiving. Get to the top and you receive a ticket for two free chocolate truffles!
n Nov 25–December 31: Lighting of the Vines at Bluemont Vineyard, where more than 10,000 vines are decorated with holiday lights to create a winter wonderland throughout the holiday season.
n Dec 3: Holiday Open House at Breaux Vineyards
Don’t miss your opportunity to get an “insider’s” taste of some of this holiday season’s specials. Lift your glass for your Encore Pour! v
Christie’s International Real Estate
Ranked in the top 1% of agents nationwide, Laurie Mensing eclipsed the $800 million mark in real estate sales by the end of 2018. Her strategy, treating every transaction as if it’s her own, has proved to be the key to her overwhelming success. In 2018 Laurie was ranked the #1 Agent Long & Foster McLean, #1 for the entire NOVA region for Long and Foster and #3 in the state of VA. Laurie’s success is the result of the extraordinary service she’s provided to her clients in Virginia, Maryland, DC. Her local knowledge and ambition to provide impeccable service to a wide range of clients with different price points, truly separates her from her counterparts. Consider Laurie YOUR trusted real estate advisor.
Specialties: New Construction, Works With First-Time Home Buyers, Specializes in Relocations, Resale Residential, Historic Homes, Downsizing
With exceptional credentials, Casey uses his 30 years of experience to help his clients maximize the value of their real estate transactions. His experience, extensive knowledge and understanding of Northern Virginia’s Real Estate market have helped him to sell over $3 Billion of homes. For 5 years straight, Casey was the #1 agent worldwide because of the fact that he enjoys helping families as well as individuals find the best homes, or the land to build their forever homes. The homes that Casey specializes in are some of the finest homes Northern Virginia has to offer. He has always been an innovator in marketing the properties he sells, using digital, print, and social media marketing. His reach is global, national, regional, and local to make sure that people, no matter where they are, see the homes that he has to offer so they can find the perfect home that meets their unique needs.
Specialties:
Area’s Premier Luxury Home Builder and Realtor
Mark Goedde has been exceeding his clients expectations in quality real estate service throughout Northern Virginia. Mark has the financial and investment experience to help you make smart decisions concerning your home and/ or your real estate portfolio, representing YOU when you’re ready to either buy or sell a home. He can assist you with multi-million dollar homes and mid-level properties and has been serving residential real estate needs for over 30 years in Fairfax, Loudoun and Arlington Counties and the Cities of Alexandria, Fairfax and Falls Church. Mark is a full-service Realtor with mortgage, insurance, property manangement and title partners to serve your every need.
c: (703) 965-8133 w: (703) 873.5193 1355 Beverly Rd, Suite 109 McLean, VA 22101 www.lauriemensing.com
703-827-5777 8478 Tyco Rd, Vienna, VA 22182 www.margenau.com
Specialties: Investment Property, New Construction, Works With First Time Home Buyers, Specializes in Relocations, Resale Residential, Single Family Homes and Townhomes, Associate Broker, Luxury c: 703-850-8129 w: 703-790-1990 markgoedde@LNF.com www.markgoedde.com
Sari Dajani and Team’s over 50 years of experience with residential and commercial real estate in northern Virginia and the Washington DC metro area have proven beneficial to their clients. Team Dajani’s diverse background (speaking several languages) help them to understand the needs of both buyers and sellers in this cosmopolitan region and offer them negotiation edge. Together Team Dajani provide seamless service, creative marketing and support 7 days a week. Team Dajani’s commitment to help coupled with Weichert’s many resources can save you valuable time and effort in securing home financing, insurance, and home connections.
Buy. Sell. Relax. Acheter Vendre Relax
Compra Vende Relájate
With Weichert unlimited support Team Dajani ensures maximum online presence through SEO marketing and online campaigns.
156 Maple Ave, Vienna, VA 22180 c: 571-239-9997 w: 703-938-6070 sari.dajani@outlook.com www.dajanirei.com
Accomplished Real Estate Agent and Investment Consultant with expertise in conceptualizing solutions that exceed client expectations
Recognized for his strong work ethic and analytical competencies, Lee Brady is a seasoned market leader in luxury real estate, land development, and investment consulting. Throughout his career, he has leveraged his market knowledge to represent clients from diverse backgrounds and negotiate contracts that deliver maximum financial value for his clients.
Over the years, Lee has established an international client base and developed strategic partnerships with local, regional, and national builders. He has a passion for delivering top-flight customer service which has enabled him to be the recipient of several national awards for exceptional marketing.
Today, Lee is the Team Lead at Casey Margenau Fine Homes, a boutique brokerage specializing in contriving tailored marketing strategies to ensure the financial success of its clients. Here, Lee spearheads a team of top-performing professionals to offer the ultimate real estate experience, resulting in transactions of over $75M in 2020.
c: 703-801-0025 lee@margenau.com www.caseymargenau.com/ team/lee-brady/
Trustworthy, Neighborly, Tenacious!
Top Producer Gloria Adams has been listing and selling homes in the upscale markets of Fairfax for over 20 years building a reputation for ser vice that exceeds one’s expectations. Gloria received the NVAR Diamond Top Producer Award in 2018 from the NVAR Top Producers Club and is a Life Member of the NVAR Million Dollar Club. In 2017, Gloria also received a TTR Sotheby’s Special Achievement Award for Sales Accomplished. Gloria moved to McLean, Virginia 25 years ago from the Texas/ Oklahoma area. Prior to starting her career in real estate, she worked for the Congressional Budget Office on Capitol Hill, the Brookings Institution, and two Presidential Commissions, solidifying her grasp for the markets she serves so well. She developed a love for the real estate business and her reputation among her peers and customers alike is a testament to her desire to go that “extra step” to ensure a satisfied client.
Specialties: Negotiation Expert, Resale Residential, Rentals 703.356.6645
6723 Whittier Ave #101, McLean, VA 22101 www.sothebysrealty.com
Best Real Estate Agent and Top Producer
Designated Best Real Estate Agent by Washingtonian Magazine 2015 and #4 in the Company Top Ten in 2014, Ginger is a Life Member Northern Virginia Association Top Producer. She is a native and resident of Vienna, VA, and as the daughter of a builder, she loves residential real estate marketing and sales. Ginger is a licensed realtor in Virginia and Florida and specializes in residential real estate sales in Northern Virginia—especially, Vienna, Fairfax, Oakton and nearby. She has a number of real estate designations and enjoys tennis and golf.
Accredited Buyer Representative (ABR), Accredited Staging Professional (ASP), Graduate Realtor Institute (GRI), Senior Real Estate Specialist (SRES)
ginger.king@cbmove.com 703-477-8793
465 Maple Ave West Vienna, VA 22180
Richie is an award winning sales professional that has worked in the sales/ customer service industry his entire adult career. Over 20 years of sales experience perfected his skills needed to not only achieve his client’s expectations but exceed them! Acquiring knowledge of schools, commute, surrounding amenities, and indispensable business relationships supplies him with the ability to help you buy or sell with the utmost confidence.
If you are looking for a Real Estate Customer Service Expert that sets their expectations high, is totally up front with you, thrives on customer satisfaction, and is a fearless yet effective negotiator then “Real Estate Richie” is the right agent for you. Richie takes great pride in the relationships he builds and always works relentlessly to ensure his clients best interest!
With over 35 years of career experience in residential real estate sales, luxury home sales and marketing, office leasing and real estate settlement services, Lori has in-depth knowledge and experience in the Northern Virginia housing market and provides her clients with a comprehensive level of support in buying or selling their home.
In every real estate transaction, her focus is to meet and exceed the needs of her clients. She is committed to providing personalized sales support with attention to detail and responsive service--working closely with each buyer or seller to carefully understand their specific goals and needs of home ownership. Whether the purchase or sale is a single-family home, townhouse or condominium, she provides clients with the information they need to make wise investment decisions in buying or selling a home.
Her background in real estate settlements is a powerful asset to both her selling clients as well as purchasers. With an in-depth understanding of the settlement process as a former settlement agent, she is able to share this knowledge and successfully guide her clients through all phases of selling or buying a home— from contract to closing.
someone who knows this area inside and out!
As an agent who’s an expert in this local area, Kevin brings a wealth of knowledge and expertise about buying and selling real estate. Kevin is someone you can trust for up-to-date information who is eager to serve you. If you need to find your next home, Kevin will find you the ideal property at the right price for you, including all the neighborhood amenities that matter.
When it’s time to move, Kevin will handle advertising your home, showing it prospective buyers, negotiating the purchase contract, arranging financing, overseeing the inspections, handling all necessary paperwork and supervising the closing. He can take care of everything you need, from start to close. Consult with Kevin on Home Selling Tactics. His experience in home staging can be the difference between a home resting on the market and one that’s sold fast.
Specialties: Find a Home, Sell a Home Consult on Home Selling Tactics
agent: 703-967-0909 office: 703-790-3330
1309 Vincent Place McLean, Virginia 221010 www.lorishafran.com
c: 703-346-3783 o: 703-310-6111 kevin.kleifges@compass.com www.compass.com
Missy Whittington has lived in Vienna for 50+ years and is trusted and respected within the community. Her finance and accounting background led her to real estate in the fall of 2019, and within that short period of time, she has sold over $5 Million of homes. She received the “Fastest Growing Agent Award” earlier this year and plans to continue this upward trajectory into 2022. She attributes TRUST as the number one reason for her success saying, “when you hire a realtor to take on the sale of your home or to purchase a new one, you have to trust that this person will get you to settlement in a timely manner without drama and will continue to serve the client well after the transaction has closed.”
Missy has grit and perseverance in her DNA and learned this about herself on the softball field as a youth. “When the going gets tough, the tough get going” and I’ve taken that to heart from the softball diamond to the real estate arena.” Let Missy be the one you can count on in Northern Virginia when it comes to your real estate needs. Seize the Day!
Exceptional Results…
One Client at a Time
Poppy completely understands that no two transactions are the same. Each transaction involves different people with different driving forces, different seasonal markets, locations, and property features. Poppy’s background in nursing with its lessons in assessment, analysis, listening and team management are vital tools in a Real Estate transaction. The ability to bring these tools together and use modern technology in marketing and targeting specific audiences are a winning combination for clients. Having grown up in the Northern Virginia area, Poppy is familiar with the different neighborhoods and what they have to offer. A full-time Realtor since 2002, consistently a top 100 Mid Atlantic Coldwell Banker Realtor, and a Certified Negotiation Expert, Poppy has the experience to deliver successful results for her clients.
Specialties:
Certified Negotiation Expert
After 19 years as a retail business executive with extensive marketing and negotiation skills, JoAnne transitioned into Real Estate. Dave served 21 years with the United States Secret Service before transitioning into Real Estate. His unique knowledge of Northern Virginia and the Washington D.C. area has proven beneficial to their clients. Dave and JoAnne have been Northern Virginia residents since 1991 and work together as a team. They understand the stresses of relocating, having moved several times when Dave worked for the Federal government. Dave’s relationships here and abroad, their knowledge of sophisticated database technology, analytical approach to tasks and commitment to service, honesty and integrity are the cornerstones of the Dave and JoAnne Adams Group.
Specialties:
c:703-304-1420 w: 703-938-5600 2070 Chain Bridge Rd Ste #103 Vienna, VA 22182 www.poppycole.com
Military Relocation Professional ( MRP®) Seller Representative Specialist ( SRS ) Certified Luxury Home Marketing Specialist (CLHMS®) dave@joanneadams.com m: 703-963-4491 o: 703-471-7220
(Mack) Horne has over 10 years of executive-level consulting experience with a proven track record of successful sales and business development. She uses her knowledge and experience every day in each of her real estate transactions. Whether she is helping sellers prepare their property and negotiating top dollar, or guiding buyers as they find the right home at the right price, Mack is authentically dedicated to her clients every day of the week. She is known for being organized, focused, and passionate. Mack is a nationally recognized thought leader and a versatile salesperson.
2326 TROTT AVE
VIENNA, VA | $2,399,900
This New Custom Six Bedroom and 7.5 Bath home is finishing construction (Cabinets are in). The home feeds into Flint hill ES and Madison HS. The home features Black window and a Stone and white Hardy Plank siding, with a 3 car Garage. Large front porch as well as a huge rear covered Veranda. You will Love the open floor plan, as you enter you will find a grand Great room that is open though the home. The left wing with find the Kitchen with large Breakfast room that walks out to the rear Veranda. The Kitchen feature Viking Professional stainlesssteel Appliances. White wood cabinets and stone counters. There is a large pantry as well as a caterers Kitchen. You will find this home is great for the muti-generational Family or others who want Two Owners suites one on the main level and one on the upper level. The Lower-Level is finished with bar and Billiards as well as the recreation room, a full bath and bonus room/ exercise / theater room.
VIENNA, VA | $1,685,000
Wonderful iconic Steve Bukont custom home just blocks from Maple Ave shops, the W&OD Trail and Vienna Elementary! Hardwood floors, nine-foot ceilings and beautiful architectural details on upper levels. Stunning remodeled kitchen with SubZero, etc. Three fireplaces plus welcoming front gas lantern. Contact Andy Boone at 703-350-2275.
GREAT FALLS, VA | $1,802,560
Completely upgraded from head-to-toe!
Completely remodeled white kitchen with stainless steel appliances, quartzite counters and large island with barstool seating. Amazing owners bath with separate tub and shower... and even heated floors. Large walk-out lower level with fifth bedroom and fourth full bath. Over-sized library with built-ins. Both deck and patio face south for lots of sun!
FAIRFAX, VA | $498,500
This fabulous three-level townhome backs right up to the one of the fairways in the Penderbrook golf course community!! Great open floorplan with white-cabinet kitchen and breakfast area overlooking dining and family room area. Large deck looks right at the golf course. WOW!!!
Great upgraded primary bedroom and bath. Finished lower level with fireplace. Community pool, tennis, exercise facility, etc.
MARK GOEDDE LONG AND FOSTER REAL ESTATE
c: 703-850-8129 w: 703-790-1990
MarkGoedde@LNF.com
www.MarkGoedde.com
For years, the name Dianne Van Volkenburg has been synonymous with Great Falls real estate. She has been a consistent Top Producer with a 20 year background in sales, marketing and negotiating. She has lived in the D.C. metro area for most of her life. She is highly regarded as a knowledgeable, serviceoriented realtor and high-energy negotiator.
With the first-class service she provides, the business has grown dramatically over the years. Past clients are the backbone of her business and she has many repeat clients who refer family and friends. Understanding her clients’ needs and desires, having the sales skills from hard work over many years, and applying them is the key to Dianne’s success. Bona Fide Williamsburg style home in idyllic setting in the unique and private equestrian community of Southdown Farm. Sited on a magnificent 5-acre estate offering 5 bedrooms, 5 bathrooms, with extensive additional available square footage in the attic/third floor of the house should a buyer want to finish that space, a true chef’s kitchen with high end appliances and boasting an array of very fine and delightful appointments, showcasing random width heart pine floors throughout the main and upper levels, heart pine custom made kitchen and bathroom cabinetry, and exceptional display of custom millwork and craftsmanship.
Lovely brick Colonial home sited on 2 lush acres. Offering 5 bedrooms and 5 1/2 bathroom. Huge rooms with soaring 9 foot ceilings. Beautiful archways lead you through the homes embassy sized formal spaces. Main level features gleaming hardwood floors, Family room with 2 story stone fireplace and a wall of glass with gorgeous vistas of the pool and patio areas, and a huge Kitchen with casual dining area. Enjoy resort style living in your backyard oasis complete with pool, spa and extensive hardscape with serene vistas.
New Clean and Contemporary Winthrop model features designer finishes and exceptional luxury details. 4-sides brick offering 5 bedrooms and 7.5 bathrooms with oversized brick and black windows, and large wraparound deck. A newly designed “clean contemporary” elevation gives this home unparalleled street presence. Expansive professional kitchen with large island and expanded pantry. Sunlit sunroom and airy conservatory. The homesites are approximately 1-acre each, and are located in close in Vienna, offering an easy drive to Tysons, Reston, or DC.
Our upcoming Top Doctor and Dentists Issue tells readers all about the best doctors, surgeons, and dental practitioners right here where they reside. Our Top Medical Professionals profiles are today’s way of articulating your special training, awards, and practice highlights to an audience of 270,000 readers annually.
Tysons Premier is the professionals’ choice for reaching the affluent readers in McLean, Great Falls, Vienna, Oakton, Falls Church, N. Arlington, Reston and Leesburg. Associating your brand with our line-up of the area’s best businesses and services screams “hometown favorite” and makes your practice the natural choice. And it’s easy: We will send a photographer out to take your picture, showcase your specialities and one of your Testimonials and put you in the spotlight for a very competitive price.
Time to Get Noticed! Build a Powerful Personal Brand from $695.
With over 40 different flavors, each piece is care fully selected from artisans around the world using the highest quality ingredients. Craving for Choco late’s hand-picked selections have evolved over the years to include a decadent taste for the sophisti cated palette. We invite you to discover both our permanent and seasonal collections that we take pride in choosing at our pop up shops at The Ritz-Cartlon Hotel Com pany, Nordstrom, Tysons Galleria.
The end of the year sparks many of us to give to charitable causes. What if we were more purposeful with our giving strategy? As part of year-end tax planning a financial planner can walk you through different strategies that would help maximize your impact and reduce your tax liability.
Will gifting money reduce my tax liability?
Gifting money to a charity, a qualifying 401c3, a church, or synagogue will typically qualify you for a tax deduction and reduce your tax liability.
Can I gift funds as part of my Required Minimum Distribution?
When you reach age 72, the IRS requires you to take distributions from your retirement accounts. These distributions are taxable income. Using your RMD is a very tax-effective way to support a cause. The distribution is made directly to the charity and you are able to exclude the amount from taxable income. You can donate up to $100,000 of your retirement assets each year.
Can I gift stock?
Yes, you can gift up to the gift tax limit of $15,000 of stock gift tax free. It is usually preferable to gift low basis, highly
appreciated stock. Gifted stock transfers original donors basis, allowing the donor to avoid capital gains and providing stock to a beneficiary in a lower tax bracket, which lowers the overall tax on the stock.
When do I have to make these donations?
Donations need to be postmarked by December 31st to count for the calendar year.
A charitable giving strategy can align your financial interests with your gifting interests. If you have questions about yearend charitable giving, please connect with one of your financial advisors to discuss which options or strategies work for your situation best.
Andrew Fincher is a Financial Advisor at VLP Financial Advisors. For more than 30 years, VLP has worked successfully and effectively with all kinds of families and individuals, retirees and business owners, women and men—all pursuing their own aspirations, each investing and saving in the ways that make the most sense for them. We’ve stood with those clients through life transitions, through celebrations and challenges, through milestones and market swings. We look forward to standing with you.
8391 Old Courthouse Road, Suite 203 Vienna, VA 22182 703.356.4360
Learn more at www.vlpfa.com v
Investment advisor representatives offering securities & advisory services through Cetera Advisor Networks LLC, a broker dealer and Registered Investment Advisor, member FINRA/SPIC. Cetera is under separate ownership from any other named entity.
*All situations are different, please consult your financial professional for information regarding your needs and suitability issues. The official statement should be read carefully before investing. For a comprehensive review of your personal situation, always consult with a tax or legal advisor. Neither Cetera Advisor Networks LLC nor any of its representatives may give legal or tax advice.
On Tuesday, November 15, 2022, at 10:30 a.m., Metro will celebrate the opening of the Silver Line Extension with a ribbon cutting ceremony at Washington Dulles International Airport Station with U.S. Transportation Secretary Pete Buttigieg, federal, state, and local officials, Metro General Manager and CEO Randy Clarke, Metro Board members, and Metropolitan Washington Airports Authority President and CEO Jack Potter. The extension will expand the existing Silver Line, offering six new Metro stations in Virginia and bringing Metrorail service to Washington Dulles International Airport and Loudoun County for the first time.
With the opening of Silver Line Phase 2, the Reston Town Center Association is making sure users of the Reston Town Center Metrorail Station will have easy access to Reston Town Center and its multiple residential, office, retail, restaurant properties.
The association will provide a free shuttle service throughout the town center area.
The RTC shuttle will be free and stop every 10 minutes at six locations between 7a.m. and 7p.m. weekdays, according to Robert Goudie, executive director of the Reston Town Center Association.
Stops will include the metrorail station, Discovery Square, Window Plaza, Explorer Street/Town Square Park, Pavilion/Mercury Fountain and Hyatt Regency Reston. the loop takes about two-miles and takes about 16 minutes.
Plans call for running two vans simultaneously. That translates to six routes per hour.. the service will be operated by Reston Limousine, a locally owned transportation provider .
Goudie said the association plans to wrap two buses in white, blue and chartreuse , making sure the vehicles stand out as they circle along Sunset Hills Road, Reston Parkway, Market Street, Bluemont Way, Town Center and New Dominion parkways.
In the future, the system will go electric!, Goudie said.
The system is being funded via a cost-sharing agreement between members of the association.
Goode said news of the service has been cheered by residents and office tenants.
Hunter Mill District Fairfax County Supervisor said the shuttle system will “support Fairfax County’s investment in Metrorail and provide another alternative to single occupancy vehicles” in Reston.
In preparation for the opening of Phase 2, Fairfax County is implementing multiple changes to its Fairfax Connector bus routes to best serve Silver Line users. v
Mike Anastasia | mike.anastasia@compass.com | M: 703-501-1000 | O: 703-310-6111
Ashley Anastasia | ashley.anastasia@compass.com | M: 703-975-8500 | O: 703-310-6111