Skip to main content

Revista Review of Ophthalmology México - Primera Edición 2026

Page 1


Especial Glaucoma

Eficacia de Latanoprosteno Bunod como Monoterapia Inicial en Glaucoma Secundario a Pseudoexfoliación

p. 6

¿En qué se diferencia el glaucoma pediátrico del adulto?

p. 10

¿Pueden los pacientes con glaucoma recibir lentes intraoculares premium?

p. 14

A CREATIVE LATIN MEDIA PUBLICATION / PRIMERA EDICIÓN, FEBRERO 2026, VOLUMEN 133

Carta Editorial 2

COMITÉ EDITORIAL CLÍNICO

EDITOR CLÍNICO EN JEFE REVIEW OF OPHTHALMOLOGY MÉXICO

Dr. Raúl Suárez Sánchez Asesor del Departamento de Córnea y Cirugía Refractiva Instituto de Oftalmología Conde de Valenciana

COMITÉ EDITORIAL REVIEW OF OPHTHALMOLOGY MÉXICO 2026

Dr. Arturo Ramírez Miranda, del Conde de Valenciana.

Profesor adjunto de oftalmología, médico adscrito del Departamento de Córnea y Cirugía Refractiva del Conde de Valenciana

Dr. Charles Van Lansingh, Director médico Help Me See, director de Investigación del Instituto Mexicano de Oftalmología, presidente del Centro Mexicano de Salud Visual Preventiva y Profesor Asociado del Departamento de Salud Pública, de la Universidad de Miami

Dr. Juan Carlos Serna Ojeda, Presidente de la Asociación Mexicana de Bancos de Tejidos Oculares y presidente del Instituto Visión Láser.

Dra. María Ana Martínez-Castellanos, Cirujano de retina pediátrica

Dra. Silvia Moguel Ancheita, Expresidente Sociedad Mexicana de Oftalmología (SMO)

Dr. Jorge E. Valdez-García MD, PhD, Decano de la Escuela de Medicina y Ciencias de la Salud del Tecnológico de Monterrey

Apreciados colegas:

Dr. Raúl Suárez Sánchez

Asesor del Departamento de Córnea y Cirugía Refractiva Instituto de Oftalmología Conde de Valenciana

En este volumen presentamos una selección de artículos de gran interés y actualidad, cuidadosamente elegidos en función de las inquietudes de nuestros lectores. Entre ellos destaca el trabajo titulado: “Eficacia de Latanoprosteno Bunod como Monoterapia Inicial en Glaucoma Secundario a Pseudoexfoliación”, elaborado por la Dra. Andrea Robleo.

Este artículo ofrece una revisión detallada sobre el uso de este fármaco en pacientes con glaucoma secundario a pseudoexfoliación, especialmente en aquellos casos en los que los procedimientos quirúrgicos no son viables o el empleo de ciertos medicamentos tópicos está contraindicado. Además, se incluye la presentación de un caso clínico ilustrativo y su abordaje terapéutico, lo que enriquece la discusión y aporta una perspectiva práctica al tema. Nuestro siguiente artículo, enviado por el Dr. Arturo Ramírez y colaboradores, lleva por título “Consideraciones quirúrgicas para el implante en humanos del dispositivo sintético corneal de Gore”. Los trasplantes de córnea dependen en gran medida de la disponibilidad de donaciones, y a lo largo de mi experiencia como cirujano corneal he sido testigo de periodos en los que la donación resulta limitada y otros en los que se impulsa con mayor fuerza, según el compromiso de los profesionales de la salud, las políticas gubernamentales y la participación de la sociedad civil.

Contar con un implante artificial confiable representa una alternativa de gran valor, ya que ofrece la posibilidad de reducir las listas de espera de pacientes con ceguera corneal que aguardan una intervención quirúrgica. Este avance abre la puerta a soluciones más inmediatas y sostenibles frente a la dependencia exclusiva de la donación, brindando esperanza a quienes requieren recuperar su visión.

En el artículo “¿En qué se diferencia el glaucoma pediátrico del adulto?” la Dra. Elena Bitrian recuerda que el glaucoma no es exclusivo de las personas mayores, pues actualmente existe un porcentaje significativo de pacientes pediátricos afectados por esta patología. El glaucoma en niños presenta características distintas a las del adulto y requiere un abordaje igualmente diferenciado.

El consejo editorial de Review Of Ophthalmology México en Español invita a nuestros lectores a escribir al correo lmalkinstuart@clatinmedia.com y eolguin@clatinmedia.com sus casos clínicos o experiencias científicas que consideren de interés para compartir con nosotros. Por favor indicarnos, lugar de contacto, número telefónico y correo electrónico.

El Dr. Francisco Otárola y la Dra. Isabella Monsalve presentan el artículo “¿Cuándo y cómo hacer cirugía combinada de cataratas y glaucoma?”, en el que exponen de manera precisa las indicaciones para optar por una cirugía combinada o, en su defecto, por procedimientos quirúrgicos secuenciales, siempre bajo la evaluación cuidadosa del balance riesgo vs. beneficio.

La ciencia avanza y, con ella, las técnicas quirúrgicas; asimismo, las indicaciones de lentes premium en cirugía de catarata evolucionan. Christine Yue plantea un cuestionamiento basado en evidencia en su artículo “¿Pueden los pacientes con glaucoma recibir lentes intraoculares premium?”, en el cual analiza las variables que deben considerarse al momento de decidir qué lente intraocular colocar en pacientes con diagnóstico o sospecha de glaucoma.

Los invitamos a seguir nuestras redes sociales.

Con mis mejores deseos.

Elizabeth

Editora en jefe Review of Ophthalmology México eolguin@clatinmedia.com

El glaucoma representa uno de los mayores desafíos en la práctica oftalmológica contemporánea. Su carácter crónico, progresivo y, en muchos casos, silencioso, obliga a los profesionales de la salud visual a mantenerse en constante actualización frente a esta patología, así como a contar con fuentes confiables de información que acompañen su ejercicio clínico diario.

Por ello, en esta primera edición del año hemos decidido dedicar un número especial al glaucoma. Agradecemos profundamente a los autores que hicieron posible este ejemplar y enriquecieron su contenido académico y clínico. En particular, extendemos un reconocimiento a la Dra. Andrea Robledo Torres, la Dra. Elena Bitrian, Christine Yue, editora asociada sénior, así como al Dr. Francisco Otárola y la Dra. Isabella Monsalve, cuyas contribuciones conforman el eje central de este especial y ofrecen una visión actualizada, práctica y alineada con los retos reales de la consulta oftalmológica.

Con este número reafirmamos nuestro compromiso de brindar materiales relevantes, rigurosos y conectados con la realidad clínica de nuestra región, consolidando el papel de la revista como un espacio de consulta y actualización permanente para los profesionales de la oftalmología.

Asimismo, expresamos nuestro agradecimiento a Arturo Ramírez Miranda y Raúl Hernán Barceló, junto con los coautores Daniela Fábregas Sánchez Woodworth, Gustavo Ortiz Morales y Enrique O. Graue Hernández, por su valioso artículo: Consideraciones quirúrgicas para el implante en humanos del dispositivo sintético corneal de Gore.

Invitamos a nuestros lectores a visitar www.oftalmologoaldia.com, una plataforma informativa diseñada para acompañar al profesional de la salud visual en su práctica diaria. Espacio en el que encontrarán artículos científicos, análisis clínicos, novedades de productos, casos de interés y contenidos de actualización continua, además de un calendario con los congresos, cursos, simposios y encuentros académicos más relevantes del mundo oftalmológico. A través de nuestros canales digitales y de nuestra presencia editorial, continuamos participando activamente en los principales eventos académicos del país y de la región, fortaleciendo el vínculo directo con la comunidad oftalmológica.

Finalmente, los animamos a seguirnos en nuestras redes sociales —Instagram, Facebook, LinkedIn y TikTok—, donde nuestra comunidad supera ya los 39.000 profesionales de la salud visual. Este crecimiento no solo refleja el alcance de nuestras plataformas, sino también la confianza de una comunidad que encuentra en Oftalmólogo al Día un medio cercano, sólido y en constante evolución. Continuaremos trabajando para fortalecer nuestra presencia en los principales encuentros académicos del país y de Latinoamérica, ampliar el diálogo con líderes de opinión y seguir elevando el estándar de la comunicación científica oftalmológica, con la convicción de contribuir activamente al desarrollo y la actualización continua de la oftalmología en la región.

Edición n°1. Volumen 133

Edición n° 1. Volumen 133

Editora en Jefe: Laura Malkin-Stuart

Editor Clínico en Jefe (Español): Dr. Eduardo Viteri

Editor Clínico en Jefe (México): Dr. Raúl Suárez

Editor en Español: Juan Pablo Chajín

Editora en Jefe México: Elizabeth Olguín

Editoras México: Anaís Barrera

Cecimar Kerch

Editor Europa: Nicolas Plotnicoff

Diseño Gráfico: Nathalia López

Diseñador Gráfico de Medios Digitales: Cristian Puentes

Producción y Preprensa: Alejandro Bernal

Profesional Logística: Ximena Ortega Bernal Ilustración basada en el artículo: “Eficacia de Latanoprosteno Bunod como monoterapia inicial en glaucoma secundario a pseudoexfoliación”, recreada mediante herramientas de inteligencia artificial.

Producida / Editada / Diseñada / Distribuida por: 3 Touch Media S.A.S.

OFICINAS Y VENTAS

Director General (CEO): Sergio Plotnicoff

Presidente Honorario: Juan Carlos Plotnicoff

Directora de Comunicaciones: Laura Malkin-Stuart

Directora Administrativa y Financiera: Luisa Fernanda Vargas A. Dirección de Distribución: José Antonio Ferrarotto

Creative Latin Media LLC 2901 Clint Moore Rd, P.M.B 117 Boca Raton, FL 33496 USA

Tel: +57 310 304-8820

e-mail: suscripciones@clatinmedia.com

Las traducciones y el contenido editorial de Review of Ophthalmology En Español, no pueden ser reproducidos sin el permiso de Creative Latin Media™.

VENTAS

USA, Europa y Brasil, Héctor Serna: Director Comercial Cel: +1 561 4437192, ventas1@clatinmedia.com

México Carlos Cerezo: Cel: +52 5513523306 ccerezo@clatinmedia.com Latinoamérica Kelly Triana: Cel: +57 (320) 945-4400 ktriana@clatinmedia.com

Proyectos Especiales Ángela Peralta: pespeciales@clatinmedia.com, Cel: +57 (320) 945-4382

OFICINAS

USA: 2901 Clint Moore Rd, P.M.B 117 Boca Raton, FL 33496, Tel: +1 (561) 716-2711

Colombia: Carrera 7 No. 106 - 73 Of. 301

Bogotá, Colombia, Tel: +57 (310) 304-8820

México: Río Mississippi 49, piso 14, int. 1402. Colonia Cuauhtémoc, Alcaldía Cuauhtémoc, Ciudad de México, CP. 06500, Tel: (55) 2803-8170

Review of Ophthalmology (ISSN 1088-9507) es una revista publicada por Creative Latin Media, LLC bajo licencia de Jobson Publishing LLC. Su distribución es gratuita a todos los profesionales de la Salud Visual que cumplan con los requisitos requeridos para recibir la revista en América Latina. Tarifas de suscripción anual, seis ediciones. Colombia US$60, México US$60, Latinoamérica (paises de habla hispana) US$120, Brasil US$180, USA y Canada US$220, Europa y Asia US$260. Para suscripciones comuniquese a suscripciones@clatinmedia.com Otros productos de Creative Latin Media son: 20/20 En Español y 20/20 México

ESPECIAL GLAUCOMA

Eficacia de Latanoprosteno Bunod como Monoterapia Inicial en Glaucoma Secundario a Pseudoexfoliación

Por Dra. Andrea Robleo Torres 06

¿En qué se diferencia el glaucoma pediátrico del adulto?

Por Dra. Elena Bitrian 10

¿Pueden los pacientes con glaucoma recibir LIOs premium?

Por Christine Yue, editora asociada sénior 14

¿Cuándo y cómo hacer cirugía combinada de cataratas y glaucoma?

PorDr. Francisco OtárolayDra. Isabella Monsalve 22

ARTÍCULOS

Consideraciones quirúrgicas para el implante en humanos del dispositivo sintético corneal de Gore

PorArturo Ramírez MirandayDr. RaúlHernán Barceló 26

SECCIÓN PATROCINADA

LABORATORIOS SOPHIA

Superficie ocular en foco: retos diagnósticos y terapéuticos en patología corneal compleja 28

PRODUCTOS

Gaap® Ofteno y Gaap PF: tratamiento de primera línea para el Glaucoma 30

Eficacia de Latanoprosteno Bunod como Monoterapia Inicial en Glaucoma Secundario a Pseudoexfoliación

Reporte de un caso

Introducción

El glaucoma es una de las principales causas de ceguera irreversible a nivel mundial y representa un problema de salud pública de creciente relevancia. La reducción de la presión intraocular (PIO) continúa siendo el único factor demostrado para disminuir la progresión del daño glaucomatoso, independientemente de su etiología. Dentro de los glaucomas secundarios, el glaucoma secundario a pseudoexfoliación (GSP) se distingue por un curso clínico más agresivo y una progresión más acelerada en comparación con el glaucoma primario de ángulo abierto (1)

El síndrome de pseudoexfoliación (PEX) es un trastorno sistémico relacionado con la edad, caracterizado por la producción y acumulación de material fibrilar extracelular anormal en múltiples tejidos oculares, particularmente en las estructuras del segmento anterior. Diversos estudios han demostrado que los pacientes con GSP presentan presiones intraoculares más elevadas, mayor variabilidad tensional y picos hipertensivos más frecuentes, lo que hace que el control temprano y eficaz de la PIO sea especialmente crítico (1,5)

El manejo del GSP puede verse aún más limitado por la presencia de comorbilidades sistémicas significativas, como la enfermedad cardiovascular, que restringen tanto las opciones quirúrgicas como el uso de ciertos fármacos antiglaucomatosos. Este escenario clínico subraya la necesidad de identificar alternativas terapéuticas médicas eficaces y seguras en pacientes con glaucoma que no son candidatos a procedimientos quirúrgicos. El presente caso clínico describe la eficacia del latanoprosteno bunod 0.024% como tratamiento inicial en un paciente con GSP y antecedente reciente de infarto agudo al miocardio.

Dra. Andrea Robledo Torres

Caso clínico

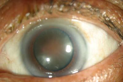
Paciente masculino de 69 años con antecedente de infarto agudo al miocardio (IAM) de cuatro meses de evolución y cirugía de catarata previa en ojo derecho (OD). Acude a consulta por disminución visual progresiva e indolora en ojo izquierdo (OI) de más de un año de evolución. En la exploración oftalmológica, la agudeza visual corregida fue de 20/30 en OD y 20/400 en OI, con mejoría a 20/25 y 20/200 respectivamente. La presión intraocular fue de 15 mmHg en OD y 23 mmHg en OI, con ángulos abiertos en ambos ojos a la gonioscopía. El examen de segmento anterior reveló hallazgos compatibles con síndrome de pseudoexfoliación, documentados en las fotografías clínicas (Figura 1).

Se realizaron estudios complementarios (Tabla 1), los cuales confirmaron el diagnóstico de glaucoma secundario a pseudoexfoliación bilateral, con daño glaucomatoso leve en OD (pseudofáquico) y daño glaucomatoso severo en OI, asociado a catarata. Dada la agresividad característica del GSP y el compromiso avanzado del OI, se estableció una presión intraocular meta baja para ambos ojos. Sin embargo, alcanzar dicha meta representaba un reto terapéutico dadas las limitaciones impuestas por su condición cardiovascular.

Debido al antecedente cardiovascular reciente, el servicio de cardiología contraindicó cualquier procedimiento quirúrgico en ese momento, lo que limitó las opciones terapéuticas disponibles. Asimismo, se evitó el uso de fármacos con potenciales efectos cardiovasculares adversos. Por lo tanto, se optó por tratamiento médico con latanoprosteno bunod 0.024% (Vyzulta™), una gota nocturna en ambos ojos.

A la semana de iniciado el tratamiento, la presión intraocular se redujo a 11 mmHg en OD y 12 mmHg en OI, alcanzando la PIO meta con monoterapia y sin efectos adversos sistémicos reportados.

Discusión

El caso presentado refleja una situación frecuente en la práctica oftalmológica, en la que pacientes con glaucoma secundario a pseudoexfoliación presentan comorbilidades cardiovasculares que limitan el abordaje quirúrgico inicial. En este contexto, el reto terapéutico consiste en lograr un control adecuado de la presión intraocular sin comprometer la seguridad sistémica del paciente.

El glaucoma secundario a pseudoexfoliación es una forma de glaucoma de ángulo abierto caracterizada por una disfunción predominante de la vía trabecular de salida del humor acuoso. De acuerdo con Sharawy y colaboradores, el síndrome de pseudoexfoliación se asocia con una producción excesiva y anormal de material fibrilar extracelular por parte del epitelio ciliar no pigmentado, el epitelio del cristalino y el epitelio pigmentado del iris. Este material se deposita progresivamente en las estructuras del segmento anterior, particularmente en la malla trabecular, incrementando la resistencia al flujo del humor acuoso a través de la vía convencional (5,7)

Figura 1. Fotos clínicas de Segmento Anterior
Ojo Derecho
Ojo izquierdo

Especial Glaucoma

Desde el punto de vista clínico, estas alteraciones se traducen en presiones intraoculares más elevadas, mayor variabilidad tensional y una progresión más rápida del daño glaucomatoso en comparación con el glaucoma primario de ángulo abierto. Estas características explican el carácter más agresivo del GSP y la necesidad de alcanzar presiones intraoculares meta más bajas desde etapas tempranas (1,5,7).

Las prostaglandinas análogas constituyen la terapia de primera línea en el manejo del glaucoma por su eficacia, perfil de seguridad y facilidad de dosificación. Sin embargo, su mecanismo de acción tradicional actúa predominantemente sobre la vía uveoescleral, lo que puede resultar insuficiente en pacientes con una alteración trabecular marcada, como ocurre en el GSP (1,2)

El latanoprosteno bunod 0.024% representa una evolución farmacológica al combinar un análogo de prostaglandina F2α con un donador de óxido nítrico. Este mecanismo de acción dual permite no solo incrementar el drenaje uveoescleral, sino también mejorar, de manera directa, la salida del humor acuoso a través de la vía trabecular. La liberación local de óxido nítrico induce relajación de la malla trabecular y del canal de Schlemm mediante modificaciones del citoesqueleto celular, reduciendo la resistencia al flujo (2,6) .

Diversos estudios clínicos y metaanálisis han demostrado que el latanoprosteno bunod logra reducciones de la presión intraocular superiores o comparables a otras monoterapias tradicionales, con un perfil de seguridad favorable. En el caso presentado, su uso como monoterapia inicial permitió alcanzar la presión intraocular meta de forma rápida y eficaz, sin efectos adversos sistémicos, a pesar del antecedente reciente de infarto agudo al miocardio (3,4,6)

Tabla 1. Estudios complementarios

Este hallazgo adquiere especial relevancia clínica, ya que en pacientes con comorbilidades cardiovasculares el uso de betabloqueadores tópicos puede estar limitado y las opciones quirúrgicas no siempre son viables. En este contexto, el latanoprosteno bunod se posiciona como una alternativa terapéutica eficaz y segura para el manejo inicial del glaucoma secundario a pseudoexfoliación cuando la cirugía no es una opción inmediata en el contexto sistémico del paciente.

Conclusión

El manejo del glaucoma secundario a pseudoexfoliación representa un reto clínico significativo, particularmente en pacientes con comorbilidades cardiovasculares que limitan las opciones quirúrgicas. En este caso, el uso de latanoprosteno bunod 0.024% como monoterapia inicial permitió alcanzar de manera rápida y segura la presión intraocular meta, sin efectos adversos sistémicos. Su mecanismo de acción dual lo convierte en una alternativa terapéutica valiosa en pacientes con disfunción trabecular predominante, ofreciendo una opción eficaz cuando el tratamiento quirúrgico no es factible.

La Dra. Andrea Robledo Torres indica la ausencia de conflictos de interés

Referencias:

1. Mohan N, Chakrabarti A, Nazm N, Mehta R, Edward DP. Newer advances in medical management of glaucoma. Indian Journal of Ophthalmology. 2022;70(6):1920–1930. https://doi.org/10.4103/ijo.IJO_2239_21

2. Zhou L, Zhan W, Wei X. Clinical pharmacology and pharmacogenetics of prostaglandin analogues in glaucoma. Frontiers in Pharmacology. 2022;13:1015338. https://doi.org/10.3389/fphar.2022.1015338

3. Hsueh CM, Tsai CH, Huang JC, Lee SH, Wang TJ, Guo SP. One-year experience with latanoprostene bunod ophthalmic solution 0.024% in clinical practice: A retrospective observational study. PLOS One. 2024;19(8):e0307132. https://doi.org/10.1371/journal.pone.0307132

4. Okeke CO, Cothran NL, Brinkley DA, Rahmatnejad K, Rodiño FJ, Deom JE. Latanoprostene bunod 0.024% in patients with open-angle glaucoma switched from prior pharmacotherapy: A retrospective chart review. Clinical Ophthalmology. 2024;18:409–422. https://doi. org/10.2147/OPTH.S442940

5. Mastronikolis S, Pagkalou M, Baroutas G, Kyriakopoulou K, Makri OE, Georgakopoulos CD. Pseudoexfoliation syndrome: The critical role of the extracellular matrix in pathogenesis and treatment. IUBMB Life. 2022;74(10):995–1002. https://doi.org/10.1002/iub.2606

6. Harasymowycz P, Royer C, Cui AX, Barbeau M, Jobin-Gervais K, Mathurin K, Lachaine J, Beauchemin C. Short-term efficacy of latanoprostene bunod for the treatment of open-angle glaucoma and ocular hypertension: A systematic literature review and network meta-analysis. British Journal of Ophthalmology. 2022;106(5):640–647. https://doi. org/10.1136/bjophthalmol-2020-317262

7. Sharawy TM, Sherwood MB, Hitchings RA, Crowston JG. Glaucoma: Medical and Surgical Management. Elsevier Saunders; latest ed.

Tabla 1.1. Estudios complementarios
¿En qué se diferencia el glaucoma pediátrico del adulto?

Al hablar de glaucoma, la mayoría de la gente piensa en la enfermedad silenciosa y progresiva que puede deteriorar la visión y que afecta al 10 % de las personas mayores de 70 años. Pero el glaucoma también afecta a 1 de cada 5000 niños.

El glaucoma pediátrico es muy diferente del glaucoma en adultos. La elasticidad de los tejidos en pacientes jóvenes y esta elevación de presión intraocular en este periodo vital, produce una serie de efectos en ojos jóvenes que no se ven en ojos de personas de más edad. Esto conlleva cambios de estructura de por vida y produce una patología mucho más compleja que la que se ve en adultos. Mientras que en los adultos el sistema de drenaje del humor acuoso comienza a fallar tras años de funcionamiento, en los pacientes pediátricos el drenaje es defectuoso desde el inicio, por lo que los síntomas son más marcados y los tratamientos más agresivos desde etapas tempranas.

Presentación

En adultos, el glaucoma causa daño al nervio óptico; en niños, el daño se causa en prácticamente todas las estructuras del ojo. Los ojos jóvenes, sobre todo antes de los 3 años de edad, son muy elásticos así que una elevación de la presión intraocular causará daño estructural a todos los niveles. El ojo crece a mayor velocidad de lo que está preparado.

La expansión de los tejidos se manifiesta de las siguientes formas. En la córnea se producen roturas en la membrana de Descemet, conocidas como estrías de Haab, y también opacidades corneales. Esto causa lagrimeo excesivo, sensibilidad a la luz y blefarospasmo, típica triada de síntomas de glaucoma congénito. Además, el diámetro corneal y la longitud axial pueden aumentar significativamente, dando lugar al conocido ojo buftálmico. (Figura 1) El diámetro corneal de un recién nacido es de 9.5 a 10 mm. Un diámetro corneal de más de 10 mm en un recién nacido o más de 12 mm en un menor de 1 año de edad es sospechoso de glaucoma.

Dra. Elena Bitrian

También se observa adelgazamiento escleral, alargamiento de la longitud axial y miopía. El alargamiento de las zónulas puede producir su rotura y la consiguiente pérdida de soporte del cristalino, dando lugar a ectopia lentis. El iris puede presentar hipoplasia y adelgazamiento de tejido. A nivel del nervio óptico, se evidencia un aumento de la excavación que, a diferencia de lo observado en adultos, puede ser reversible tras la reducción de la presión intraocular, debido a la mayor flexibilidad de la lámina cribosa en la infancia.

Además, a diferencia de los adultos, en los niños el ojo y el sistema visual está desarrollándose y tienen riesgo de ambliopía, que es la forma más frecuente de mala visión en niños.

Los signos y síntomas varían dependiendo de la edad del niño y la magnitud y agudeza de elevación de la presión intraocular. El glaucoma suele ser silente en adultos (ladrón silente de visión), pero en niños muy a menudo es notado por los padres y familiares.

Edición n° 1 Volumen 133

THE DNA FOR CONFIDENT DECISIONS

Visítenos en los siguientes congresos:

• FacoCaribe en Barranquilla, Colombia

• XI Congreso Regional de Oftalmología ALACCSA-R en San Salvador, El Salvador

• Curso Regional Panamericano y Congreso Chileno de Ophthalmologia en Santiago, Chile

Figura1. El incremento de presión intraocular en ojos pediátricos puede producir una expansión de los tejidos intraoculares (a), con estrías de Haab (b) y excavación del nervio óptico.

Especial Glaucoma

Diagnóstico

Examinar a un niño en consulta puede ser mucho más difícil que examinar a un adulto y eso puede complicar el diagnóstico. La medición de presión intraocular puede estar artificialmente elevada si el niño está llorando o aguantando su respiración.

A menudo un examen bajo anestesia es necesario para medir con precisión la presión ocular y el tamaño del ojo, debido a la dificultad de evaluar a niños pequeños despiertos en consulta, pero los agentes anestésicos suelen disminuir la presión intraocular (a excepción de la ketamina, que la eleva).

Respecto a pruebas complementarias en consulta, los niños pueden ser capaces de hacer campos visuales a partir de los 7-8 años de edad. Las pruebas de diagnóstico deben ser adaptadas para niños y en ocasiones pueden hacerse tomografía de coherencia óptica, fotos de fondo de ojo o incluso ecografía ocular en consulta.

Tratamiento

El objetivo del tratamiento del glaucoma en niños no es únicamente reducir la presión intraocular, sino asegurar que todas las estructuras oculares se mantengan en condiciones óptimas para prevenir la ambliopía y el deterioro del desarrollo visual. Esto incluye la reducción de la presión intraocular para proteger el nervio óptico y evitar la expansión del globo ocular, la corrección de los errores refractivos y, cuando es necesario, el tratamiento de cataratas asociadas.

Además, cuando tratamos glaucoma pediátrico, no tratamos solo al niño, sino que la patología también afecta psicológicamente a la familia, incluyendo a los padres y hermanos.

La condición cambia con el paso del tiempo, siendo mucho más compleja que el glaucoma en adultos. La personalización del tratamiento es fundamental en estos casos, ya que el abordaje difiere de forma significativa entre un bebé de un mes de vida, un niño de cuatro años y un adolescente. A medida que el paciente crece, deben considerarse la pubertad y los cambios en la fisiología ocular. Además, en determinadas etapas pueden presentarse dificultades psicológicas y problemas de adherencia al tratamiento y al seguimiento clínico.

En adultos el tratamiento inicial del glaucoma suele ser medicaciones o láser, terapia que se escala, si no es suficiente se procede con cirugía. Pero en niños, el tratamiento inicial suele ser cirugía y las medicaciones se usan de puente hasta llegar a cirugía.

Es muy importante recordar que el uso de ciertas medicaciones difiere en niños. Por ejemplo, la brimonidina está absolutamente contraindicada en niños pequeños por ser un depresor del sistema nervioso central. Igualmente, cuando se inicie un betabloqueante en niños, se recomienda empezar con dosis de 0.25% en vez de 0.5%, para evaluar efectos y tolerancia, ya que a menudo esta dosis menor puede ser efectiva y suficiente en pacientes pediátricos.

A diferencia del adulto, el glaucoma pediátrico suele requerir cirugía como tratamiento primario en lugar de fármacos, y conlleva un mayor riesgo de ambliopía si no se diagnostica tempranamente. El tratamiento de primera línea en glaucoma pediátrico es la cirugía angular.

En los adultos, el objetivo es preservar la visión funcional durante el resto de la vida. En los niños, en cambio, se busca favorecer el desarrollo visual y maximizar el potencial visual. Cuando los pacientes con glaucoma pediátrico alcanzan la

Edición n° 1 Volumen 133

edad adulta, pueden presentar características particulares, como mayor longitud axial, miopía, adelgazamiento escleral, aumento del riesgo de desprendimiento de retina, opacidades corneales asociadas a deslumbramiento y cataratas que requieren procedimientos quirúrgicos de mayor complejidad.

Conclusión

El glaucoma en la población pediátrica es mucho más complejo que en el adulto y puede afectar a múltiples estructuras del ojo en desarrollo. Dado que se trata de pacientes jóvenes con varias décadas de vida por delante, en muchos casos se requieren múltiples intervenciones y una monitorización periódica para evitar la progresión de la enfermedad.

Además, en los niños no solo debe abordarse el control de la presión intraocular, sino también la ambliopía, las opacidades corneales y la ametropía. La reducción de la presión intraocular representa solo una parte del manejo integral del glaucoma pediátrico. Un diagnóstico y tratamiento tempranos pueden detener la progresión de la enfermedad y permitir que muchos niños se desarrollen como adultos visualmente independientes.

¿Pueden los pacientes con glaucoma recibir lentes intraoculares premium?

Por Christine Yue, editora asociada sénior

Este artículo fue publicado y traducido bajo los términos de nuestra licencia con Jobson Healthcare Information. Queda estrictamente prohibida su reproducción total o parcial.

La tecnología avanzada en lentes está ampliando el grupo de pacientes premium. A continuación, se ofrece orientación para los casos de glaucoma.

A la hora de considerar los lentes intraoculares premium para pacientes con glaucoma y sospechosos de padecerlo, la decisión suele depender de la gravedad de la enfermedad. Ciertas opciones premium pueden exacerbar los síntomas visuales preexistentes. Por ello, los oftalmólogos deben determinar la lente más adecuada en cada caso, sopesando tanto las preocupaciones visuales como las relacionadas con el glaucoma. Aquí, los expertos debaten las opciones de LIO que consideran en estos casos y cómo explican a los pacientes las limitaciones relacionadas con el glaucoma.

Factores clínicos

Al evaluar si un sospechoso o paciente de glaucoma es un candidato adecuado para un lente intraocular premium, los oftalmólogos deben considerar cuidadosamente una serie de factores clínicos que pueden afectar tanto a la seguridad como a la eficacia de la implantación del lente.

“Los factores principales que evalúo son la fase del glaucoma, el estado del campo visual y la trayectoria de la progresión de la enfermedad”, afirma Constance Okeke, doctora en Medicina, máster en Ciencias de la Ingeniería y Cirugía, de Virginia Eye Consultants en Norfolk, y profesora adjunta de Oftalmología en la Eastern Virginia Medical School. “Los pacientes con glaucoma leve o moderado bien controlado, sin pérdida del campo visual central y con buena sensibilidad al contraste pueden considerarse candidatos. También evalúo la salud de la superficie ocular, la anato-

mía de la pupila y si el paciente es candidato para una cirugía mínimamente invasiva de glaucoma (MIGS), ya que combinar la MIGS con la cirugía de cataratas puede reducir la presión intraocular, disminuir la carga de medicación y mejorar la superficie ocular, lo que mejora los resultados con lentes intraoculares de tecnología avanzada.

“En los casos de sospecha de glaucoma, evalúo el estado del nervio óptico, los resultados de la OCT y los factores de riesgo, como la edad, la presión intraocular y los antecedentes familiares”, continúa. “Aunque no utilizo habitualmente un sistema de puntuación específico, sí empleo un enfoque de evaluación de riesgos integral. Si no hay pérdida del campo visual y el riesgo de progresión es bajo, estoy más dispuesta a ofrecer lentes multifocales, trifocales o EDOF, especialmente cuando se combinan con un asesoramiento adecuado. La sensibilidad al contraste y las necesidades de conducción nocturna también forman parte de la conversación”.

Ciertas condiciones clínicas impiden el uso de LIO premium en pacientes con glaucoma. La Dra. Okeke afirma que considera las siguientes contraindicaciones absolutas:

Glaucoma avanzado con pérdida significativa del campo central.

• PIO no controlada o alto riesgo de progresión.

• Carga farmacológica elevada sin control quirúrgico.

• Superficie ocular deficiente que no responde al tratamiento.

• Anomalías pupilares o zonulares que limitan la centración o el rendimiento de la lente.

Uno de los principales retos a la hora de considerar la implantación de LIO premium en pacientes con glaucoma es la falta de herramientas clínicas que permitan predecir de forma fiable qué personas sufrirán una progresión rápida o desarrollarán una enfermedad grave, explica la Dra. Shivani Kamat, profesora asociada de oftalmología y directora de la beca de investigación sobre glaucoma del Centro Médico UT Southwestern de Dallas. “Podemos saber si el glaucoma de un paciente está progresando”, afirma, “pero aún no disponemos de una forma consistente de identificar quiénes pueden acabar padeciendo una enfermedad más avanzada en el futuro”.

“Consideraría un lente premium en un caso de glaucoma sospechoso o en un paciente con hipertensión ocular, es decir, alguien que no tiene pérdida del campo visual, pero incluso en ese caso, tiendo a ser cautelosa”, continúa. “Ejerzo en un entorno académico y muchos de mis pacientes padecen enfermedades muy graves. He atendido a pacientes que buscaban una segunda opinión, que padecían una enfermedad moderada y a los que se les había implantado un lente multifocal, pero que tenían importantes problemas de sensibilidad al contraste. Por eso, tiendo a ser más cautelosa incluso con los casos leves o moderados.

1. Fotografía del nervio óptico de un paciente con glaucoma de ángulo abierto leve y campos visuales casi normales. La agudeza visual inicial era de 20/40 OU. Fotografía: Constance Okeke, MD.

Figura

Especial Glaucoma

Figura 2. El paciente de la figura 1 se sometió a una cirugía combinada de cataratas y MIGS con implantación de PanOptix y goniotomía Streamline. La agudeza visual postoperatoria mejoró a 20/20 en distancia e intermedia, y a J1+ en cerca. La PIO fue de 14 y 12 mmHg con un objetivo de 15 mmHg. La carga de gotas se redujo de tres medicamentos a uno. Foto: Constance Okeke, MD.

Figura 3. Un ejemplo de un mal candidato para un LIO multifocal. El ojo derecho de este paciente está bastante sano, mientras que el izquierdo presenta una enfermedad significativa. Aunque el ojo derecho está más sano y no presenta pérdida del campo visual, los expertos afirman que existe la preocupación de que acabe como el otro ojo y tenga problemas en el futuro. Fotos: Shivani Kamat, MD.

Creo que si tuviéramos una forma fiable de predecir qué pacientes van a progresar rápidamente, me sentiría más cómoda recomendando lentes intraoculares premium a aquellos con una enfermedad leve”.

Investigaciones recientes han explorado el uso de la inteligencia artificial para predecir mejor la progresión del glaucoma, un avance que algún día podría ayudar a identificar de forma más fiable a los pacientes con progresión rápida. Varios estudios se muestran prometedores para su futura aplicación clínica, pero ahora se enfrentan a limitaciones clave, como las diferencias en los conjuntos de datos y las metodologías, y la falta de una definición estandarizada de la progresión.

Opciones de lentes

Al considerar los LIO premium para pacientes con glaucoma o sospechosos de padecerlo, los oftalmólogos sopesan los posibles beneficios de las tecnologías avanzadas de lentes frente a los riesgos específicos asociados a la enfermedad.

Nikola Ragusa, MD, de Ophthalmic Consultant of New York en Astoria, explica que “si un paciente tiene una enfermedad leve con campos completos, o si se sospecha que tiene glaucoma o hipertensión ocular, la elección de la LIO varía mucho más que si el paciente tuviera una enfermedad de moderada a grave”.

Cuando los pacientes tienen pérdida del campo visual, su sensibilidad al brillo, al color y al contraste se ve disminuida, por lo que debemos tener cuidado con las lentes que seleccionamos y evitar darles una LIO que divida la luz.

“Para los pacientes con glaucoma moderado a grave, las lentes multifocales no suelen ser la mejor opción”, continúa. “Pueden reducir la sensibilidad al contraste y causar problemas de deslumbramiento o halos, especialmente si el paciente también tiene astigmatismo o problemas en la superficie ocular. Esto es especialmente problemático para los pacientes con glaucoma, que pueden tener ya una sensibilidad al contraste, un brillo y una percepción del color disminuidos debido al daño del nervio óptico.

“Tampoco consideraría los LIO acomodativos para estos pacientes”, afirma el Dr. Ragusa. “Por otro lado, los lentes tóricos son una buena opción, ya que ayudan a enfocar la luz de forma más eficaz en la retina; cualquier cosa que enfoque mejor la luz en la retina es beneficiosa para estos pacientes. También considero tecnologías más novedosas, como las lentes de profundidad de enfoque extendido”.

“A un paciente con sospecha de glaucoma o hipertensión ocular, le ofreceré todas las opciones, incluidas las lentes EDOF, ya que la sensibilidad al contraste se ve menos afectada con estas lentes”, afirma la Dra. Kamat. “Recomiendo un

Especial Glaucoma

Figura 4. Paciente con hipertensión ocular sin daño en el nervio óptico. Este paciente es candidato para una LIO multifocal. Fotos: Shivani Kamat, MD.

monofocal en casos de glaucoma moderado a grave. No pondría un multifocal en estos pacientes debido al impacto en la sensibilidad al contraste.

“Considero que la enfermedad leve es una zona un poco gris”, continúa. “Creo que requiere un consentimiento informado muy exhaustivo y un debate sobre los riesgos y beneficios asociados a los lentes. Esto es cierto en cualquier situación, pero especialmente si se está considerando un multifocal en alguien que padece una enfermedad conocida. Incluso en la enfermedad leve, no sabemos realmente quiénes son los pacientes con progresión rápida y quiénes tendrán una enfermedad moderada o grave a lo largo de su vida”.

La Dra. Okeke afirma que “se inclina claramente por los lentes de profundidad de enfoque ampliada, especialmente los diseños no difractivos como Vivity, que conservan la sensibilidad al contraste y ofrecen una buena visión intermedia y funcional de cerca. Estos lentes estiran y desplazan la luz en lugar de dividirla, lo que ayuda a minimizar las disfotopsias, un factor crítico en los pacientes con glaucoma, que a menudo ya tienen una sensibilidad al contraste reducida”. Suelen tolerarse mejor, incluso en casos de glaucoma moderado, siempre que los campos visuales sean estables y la PIO esté bien controlada.

“En determinados pacientes, especialmente en los ávidos lectores o en aquellos que desean un mayor grado de independencia de las gafas en la visión de cerca, también ofrezco un enfoque de mini monovisión utilizando lentes intraoculares Eyhance”, continúa. “Esta lente tiene cualidades mejoradas de profundidad de enfoque, y normalmente apunto a plano en el ojo dominante y de -0,50 a -0,75 D en el ojo no dominante. La calidad del contraste con Eyhance es excelente, y esta estrategia proporciona un rango de visión más suave que a menudo reduce o elimina la necesidad de gafas de lectura. Eyhance en mini-monovisión puede ser una opción satisfactoria para pacientes con altas exigencias de lectura”.

“Si un paciente tiene un glaucoma pre perimétrico leve que se puede controlar fácilmente y los resultados de la córnea y la retina son buenos, los LIO trifocales de PanOptix también pueden ser una buena opción para un paciente con glaucoma leve” añade. “En última instancia, la selección de lentes es muy personalizada, pero yo prefiero los LIO que preservan el contraste y minimizan las alteraciones visuales, especialmente en una población con glaucoma, donde cada detalle de la visión funcional cuenta”.

La Dra. Okeke señala que “siempre que haya una buena visión central, cualquier paciente con glaucoma en cualquier estadio puede ser un buen candidato para la corrección del astigmatismo cuando se busca reducir la dependencia de las gafas para ver de lejos”.

Aunque muchos pacientes con glaucoma tienen opciones limitadas de LIO, la Dra. Kamat afirma que analiza todas las opciones de LIO con sus pacientes con glaucoma moderado a grave, aunque normalmente no recomienda lentes premium. “Con el tiempo, he aprendido que los pacientes merecen conocer todas sus opciones y siempre quiero que se sientan plenamente informados”, afirma. “En algunos casos, puedo ofrecer opciones como la monovisión, aunque la mayoría de los pacientes no eligen esa opción en mi consulta. Si están interesados, suelo hacerles probar primero con lentes de contacto, ya que he tenido casos en los que los pacientes no estaban contentos y necesitaban un cambio”.

Consideraciones clave para implantar lentes intraoculares premium en pacientes con glaucoma

A la hora de considerar lentes intraoculares premium para pacientes con glaucoma, es fundamental equilibrar la mejora de la visión con un cuidado minucioso de la salud ocular. Las siguientes directrices de Constance Okeke, doctora en Medicina y máster en Ciencias de la Educación, de Virginia Eye Consultants en Norfolk, describen lo que se debe y no se debe hacer para garantizar los mejores resultados.

Qué hacer

• Evaluar minuciosamente los campos visuales y la salud del nervio óptico.

• Establecer expectativas realistas con respecto a la independencia de las gafas.

• Optimizar la superficie ocular antes de la operación (por ejemplo, tratar la MGD).

• Considerar la posibilidad de combinarlo con MIGS para un mejor control de la PIO y menos gotas.

Qué no hacer

• Implantar LIO multifocales en pacientes con pérdida del campo visual central, baja sensibilidad al contraste o glaucoma avanzado.

• Olvidar evaluar los problemas anatómicos (por ejemplo, inestabilidad zonular, pupilas pequeñas).

• Prometer resultados excesivos en pacientes con una progresión imprevisible de la enfermedad.

Establecer expectativas

Al discutir las opciones de lentes con los pacientes con glaucoma, los expertos afirman que es fundamental establecer expectativas realistas sobre las limitaciones y los posibles resultados de los lentes disponibles, dada la naturaleza de la enfermedad glaucomatosa. “Es especialmente importante explicar todo por adelantado a los pacientes con glaucoma, incluso más que en los casos típicos de cataratas”, afirma el Dr. Ragusa. “Necesitan conocer la gravedad de su glaucoma, cómo afecta a su visión y el objetivo de la cirugía. Asegurar-

se de que las expectativas del paciente se ajustan a lo que intentamos conseguir es clave para obtener un resultado satisfactorio”.

Explicar visualmente a los pacientes el estado de su enfermedad puede ayudar a debatir las opciones de lentes. El Dr. Okeke utiliza informes del campo visual e imágenes OCT para hacerlo. “Insisto en que la pérdida del campo visual no se puede corregir con ninguna LIO y que los lentes premium mejoran la calidad de la visión, no la salud del nervio óptico. A los pacientes sospechosos les explico la posibilidad de progresión y la necesidad de un seguimiento continuo, al tiempo que les ofrezco opciones de lentes más flexibles con la precaución adecuada”.

Dependiendo de la gravedad del glaucoma, hay un límite en cuanto a la mejora de la visión del paciente. “Algunos de mis pacientes con glaucoma grave han notado sus defectos relacionados con el glaucoma con mayor claridad después de la cirugía de cataratas, lo que puede resultar desconcertante y molesto para el paciente, por lo que siempre hablo de ello con antelación”, señala el Dr. Kamat. “Hago hincapié en que haremos todo lo posible por mejorar su visión, pero nunca prometo una visión 20/20, especialmente en los casos graves. Me aseguro de establecer expectativas realistas, porque creo que una comunicación clara desde el principio hace que el período posoperatorio sea mucho más llevadero”.

Contratiempos posoperatorios

Una preocupación común para los pacientes con glaucoma después de la cirugía de cataratas es el desarrollo de trastornos visuales, que pueden ser más pronunciados dependiendo del tipo de lente implantado.

“Las molestias visuales pueden incluir deslumbramiento o halos, especialmente con lentes multifocales, aunque mucho menos con lentes intraoculares EDOF”, afirma el Dr. Okeke.

El tratamiento de los pacientes con glaucoma después de la operación también requiere prestar mucha atención a las posibles complicaciones que pueden surgir con mayor frecuencia en esta población. “Algunos pacientes tienden a ser más sensibles a los esteroides posoperatorios y requieren una vigilancia más estrecha”, afirma el Dr. Ragusa. “Las fluctuaciones de presión pueden ser más impredecibles, especialmente cuando se combina la cirugía de ángulo con lentes premium. Recientemente tuve un paciente que tenía la presión bien controlada a 8 mmHg sin gotas durante dos meses, pero volvió con una presión de 40, aparentemente de la noche a la mañana. Es posible que se haya desarrollado tejido cicatricial debido a la cirugía de ángulo. Ahora tenemos que controlar su presión de nuevo con medicamentos tópicos. Estos pacientes simplemente necesitan un seguimiento más sensible y frecuente”.

Especial Glaucoma 20

“Según mi experiencia, combinar ATIOL con procedimientos MIGS ayuda a mitigar los picos de presión al reducir la PIO y la dependencia de medicamentos que pueden exacerbar la enfermedad de la superficie ocular, lo que a su vez mejora la comodidad visual y los resultados”, afirma el Dr. Okeke.

El Dr. Ragusa añade que “los pacientes con pseudoexfoliación, que es común en mi población de pacientes con glaucoma, pueden experimentar una subluxación del cristalino con el tiempo, lo que puede afectar gravemente a la visión, incluso si el cristalino solo está ligeramente descentrado. Esta es otra razón por la que, para la mayoría de estos pacientes, los lentes monofocales o tóricos suelen ser la mejor opción”.

Mirando hacia el futuro

A medida que la tecnología y la investigación continúan avanzando, los pacientes con glaucoma pueden tener acceso a una selección más amplia de opciones de lentes premium. La investigación en curso bajo la iniciativa AGE (Advocates for Glaucoma Education) del Dr. Okeke, cuyo objetivo es crear

conciencia sobre el glaucoma y promover la detección y el tratamiento tempranos, está evaluando los resultados visuales y de la PIO en pacientes con glaucoma sometidos a implantes de ATIOL, tanto con cómo sin MIGS simultáneo.

“Los primeros datos muestran que los lentes EDOF, en particular los diseños no difractivos, ofrecen resultados visuales favorables con menos disfotopsias y conservan mejor el contraste que las opciones multifocales”, afirma el Dr. Okeke. “A medida que recopilemos más datos a largo plazo, especialmente en pacientes con glaucoma moderado, es posible que veamos una mayor aceptación y unas directrices más refinadas para el uso de ATIOL en esta población”.

El Dr. Ragusa y el Dr. Kamat no tienen declaraciones financieras relacionadas. El Dr. Okeke declara relaciones financieras con Glaukos, New World Medical, Sight Sciences, Alcon, Bausch + Lomb, Allergan/AbbVie y Nova Eye Medical.

Review of Ophthalmology. (s. f.). Can glaucoma patients get premium IOLs? https://www.reviewofophthalmology.com/article/can-glaucoma-patients-get-premium-iols

¿Cuándo y cómo hacer cirugía combinada de cataratas y glaucoma?

Dr. Francisco Otárola.

Prof. Adjunto Oftalmología Universidad de la Frontera, Temuco, Chile Centro de la Visión, Santiago de Chile. Clínica Oftamédica, Temuco, Chile.

Dra. Isabella Monsalve. Fellow de Glaucoma Clínica Oftamédica –Universidad de la Frontera, Temuco, Chile.

Este artículo salió en el Noticiero #73 noviembre - diciembre y se publico con el permiso de ALACCSA - R. Su reproducción está prohibida. Para más información sobre el noticiero visite la página web www.alaccsa.com

Introducción

Cataratas y glaucoma frecuentemente coexisten en la población mayor y pueden influenciar el uno al otro. (1)

La extracción de cristalino por sí sola produce reducción de la presión intraocular tanto en pacientes con glaucoma de ángulo abierto como de ángulo cerrado.(2)

Considerando que cataratas y glaucoma son las causas más importantes de pérdida de visión a nivel mundial, un procedimiento combinado ofrece una oportunidad para tratar ambos de forma simultánea, no obstante, no existe consenso en el tratamiento de estos pacientes.

Los factores que influyen en esta decisión incluyen el estado del ángulo iridocorneal, la presión intraocular, la severidad del glaucoma, la historia quirúrgica, la adherencia a tratamiento, tolerabilidad, la morbilidad y edad del paciente. (3)

Dr. Francisco Otárola

Glaucoma de ángulo abierto

En el contexto de un paciente con glaucoma avanzado o refractario que requiere una intervención para glaucoma y además se presenta con catarata visualmente significativa está la disyuntiva de qué procedimiento realizar primero.

La cirugía de catarata por sí sola potencialmente puede reducir la presión intraocular hasta en un 13% al año de la facoemulsificación en pacientes con glaucoma de ángulo abierto,(2) sin embargo, en algunos pacientes puede comprometer el control de la presión intraocular y genera peaks (picos) hipertensivos.

Las cirugías filtrantes de glaucoma comúnmente se realizan primero ya que posponerlo podría significar aumentar el riesgo de pérdida visual por glaucoma. Por otro lado, la cirugía filtrante ha demostrado acelerar la progresión de la catarata y un 6 - 58% de pacientes requieren facoemulsificación al año.

La extracción de cristalino en segundo tiempo puede comprometer el éxito quirúrgico, tanto a corto como a largo plazo, de la cirugía filtrante inicial. (4)

Es en este contexto es que nace la idea de realizar un procedimiento combinado que permita reducir la presión intraocular y mejorar la condición visual del paciente en un solo tiempo.

Glaucoma de ángulo cerrado

En glaucoma por cierre angular el tratamiento con extracción de cristalino por sí solo reduce la presión intraocular. (2,5)

Se estima una reducción de 32% de presión intraocular y reducción de 58% el uso de medicamentos. (2)

El éxito terapéutico de la extracción de cristalino depende de la etapa en que se encuentre el glaucoma, de qué tan precoz es la intervención y del manejo de los distintos mecanismos que provocan el cierre angular. (6)

Existen pacientes en quienes la facoemulsificación por sí sola no es suficiente para manejar el glaucoma por cierre angular, particularmente en aquellos glaucomas de larga data que se presentan con un daño avanzado o severo. La necesidad de mantener presiones intraoculares estrictamente bajas abre la posibilidad de ofrecer una cirugía de glaucoma asociada que logre este objetivo.

Cirugía de catarata combinada con implante filtrante en glaucoma

Estudios han mostrado que la cirugía combinada de catarata con cirugía filtrante de glaucoma resulta en una mayor reducción de la presión intraocular que la cirugía de catarata por sí sola.

En pacientes que requieren un valor de presión intraocular bajo, es la cirugía filtrante la primera opción.

La trabeculectomía es la cirugía de glaucoma tradicional que muchos cirujanos combinan con procedimientos de facoemulsificación, a pesar de ello, al comparar la faco-trabeculectomía con la trabeculectomía por si sola muchos estudios han mostrado una tasa de éxito menor, esto puede deberse al ambiente inflamatorio con consecuente cicatrización conjuntival severa, a pesar del uso de anti-metabolitos adyuvantes. (7)

Una alternativa potencial es combinar la cirugía de cataratas con un dispositivo filtrante de glaucoma. Esta combinación permitiría un manejo adecuado de la presión intraocular y al mismo tiempo una rehabilitación visual precoz evitando el alto riesgo de falla de la trabeculectomía. (3)

Múltiples estudios retrospectivos han mostrado resultados positivos tanto con dispositivos valvulados como no valvulados. (8,9)

Un estudio prospectivo que comparó implante de Baerveldt versus cirugía combinada con el mismo dispositivo, indicó que combinar procedimientos aumenta las tasas de falla que se hace significativa a los 3 años de seguimiento. Particularmente en aquellos pacientes cuyo flujo se hizo significativo entre las 3-6 semanas (inicialmente ocluidos con sutura reabsorbible), en quienes el flujo precoz genera un encapsulamiento mayor del dispositivo, considerando que los mediadores inflamatorios de la cirugía de catarata están presentes hasta 6 meses posterior al procedimiento.(3)

La cirugía combinada con implante filtrante en nuestro escenario consiste en una cirugía de cataratas convencional con posterior implante del dispositivo filtrante no valvulado (Implante PAUL), el cual en una primera instancia se ocluye con una sutura no reabsorbible para evitar su flujo. Esto último permite evitar posibles complicaciones asociadas a la filtración precoz y además, permite mejorar la predictibilidad de la presión intraocular. Una vez se estima necesario, se realiza una suturolisis con láser para activar el funcionamiento del dispositivo.

Cirugía de catarata asociada a Cirugía de glaucoma mínimamente invasiva

La cirugía de glaucoma mínimamente invasiva (MIGS) se presenta como una oportunidad para reducir la presión intraocular y disminuir el uso de medicamentos hipotensores con menor frecuencia de complicaciones en comparación con la cirugía filtrante.

Especial Glaucoma 24

En general estos procedimientos producen una reducción modesta de la presión intraocular en comparación de la facoemulsificación por sí sola. Tienen su espacio en pacientes con glaucoma leve a moderado que requieren cirugía de cataratas.

Un meta análisis publicado en 2024 concluyó que la cirugía combinada con MIGS independiente del mecanismo del mismo, alcanza una reducción de presión intraocular significativamente superior que la cirugía de catarata por sí sola, además de reducir el uso de medicamentos, sin el aumento de incidencia de eventos que amenacen la visión. (10,11)

Desafíos de la cirugía combinada

Al ser tanto la cirugía de cataratas como la cirugía de glaucoma procedimientos que reducen la presión intraocular, se espera una función aditiva de ambas y que el procedimiento combinado produzca una disminución de la presión intraocular mayor que cada cirugía por sí sola. Los efectos de cada cirugía reducen la predictibilidad del efecto hipotensor de la cirugía combinada. (12)

Combinar cirugías puede generar un aumento en las complicaciones asociadas a uno u otro procedimiento, el riesgo de infecciones y de falla por cicatrización excesiva asociada a la inflamación son frecuentemente mencionados en la literatura.

Finalmente, existe poca evidencia sobre los resultados a largo plazo de los procedimientos combinados.(12)

Ventajas teóricas

La cirugía combinada de cataratas y glaucoma permite una mejor rehabilitación visual, un menor costo asociado a cada procedimiento por separado, permite mejorar el seguimiento de pacientes con glaucoma al beneficiar su función visual y su capacidad de testeo con campimetrías de rutina. Finalmente, creemos que el riesgo de falla de la cirugía filtrante al asociarla con cirugía de cataratas se puede reducir con el uso de nuevos implantes filtrantes de lumen menor, como el implante de PAUL o ClearPath ST, dejando éstos sin función inicial a través de su oclusión con una sutura no reabsorbible y con la activación posterior del mismo a través de suturolisis con láser en el momento considerado adecuado.

Referencias:

1. Budenz DL, Gedde SJ. New options for combined cataract and glaucoma surgery. Curr Opin Ophthalmol [Internet]. 2014 Mar [cited 2025 Oct 28];25(2):141–7. Available from: https://journals.lww.com/co-ophthalmology/fulltext/2014/03000/new_options_for_combined_cataract_and_glaucoma.11.aspx

2. Chen PP, Lin SC, Junk AK, Radhakrishnan S, Singh K, Chen TC, et al. The Effect of Phacoemulsification on Intraocular Pressure in Glaucoma Patients: A Report by the American Academy of Ophthalmology. Ophthalmology. 2015 Jul 1;122(7):1294–307.

3. El Wardani M, Bergin C, Bradly K, Sharkawi E. Baerveldt shunt surgery versus combined Baerveldt shunt and phacoemulsification: A prospective comparative study. British Journal of Ophthalmology. 2018 Sep 1;102(9):1248–53.

4. Ahmadzadeh A, Kessel L, Subhi Y, Bach-Holm D. Comparative Efficacy of Phacotrabeculectomy versus Trabeculectomy with or without Later Phacoemulsification: A Systematic Review with Meta-Analyses. J Ophthalmol [Internet]. 2021 [cited 2025 Oct 28];2021:6682534. Available from: https://pmc.ncbi.nlm.nih.gov/articles/PMC7896844/

5. Ling JD, Bell NP. Role of Cataract Surgery in the Management of Glaucoma. Int Ophthalmol Clin [Internet]. 2018 [cited 2025 Oct 28];58(3):87–100. Available from: https://journals.lww.com/internat-ophthalmology/fulltext/2018/05830/role_of_cataract_surgery_ in_the_management_of.7.aspx

6. Azuara-Blanco A, Burr J, Ramsay C, Cooper D, Foster PJ, Friedman DS, et al. Effectiveness of early lens extraction for the treatment of primary angle-closure glaucoma (EAGLE): a randomised controlled trial. The Lancet. 2016 Oct 1;388(10052):1389–97.

7. Xie J, Li W, Han B. The Treatment of Primary Angle-Closure Glaucoma with Cataract: A Systematic Review and Meta-Analysis of Randomized Controlled Trails. Ophthalmol Ther [Internet]. 2023 Apr 1 [cited 2025 Oct 28];12(2):675–89. Available from: https://pubmed.ncbi.nlm. nih.gov/36580218/

8. Rao D, Pathak-Ray V. Combined cataract extraction with a new nonvalved glaucoma drainage device in adult eyes with cataract and refractory glaucoma. Indian J Ophthalmol. 2018 Sep 1;66(9):1278–83.

9. Chung AN, Aung T, Wang JC, Chew PTK. Surgical outcomes of combined phacoemulsification and glaucoma drainage implant surgery for Asian patients with refractory glaucoma with cataract. Am J Ophthalmol [Internet]. 2004 Feb 1 [cited 2025 Oct 28];137(2):294–300. Available from: https://www.sciencedirect.com/science/ article/pii/S0002939403009747?ref=pdf_download&fr=RR-2&rr=99662db00c42e79b

10. Yuan PH (Shawn), Dorling M, Shah M, Panarelli JF, Durr GM. Combined Microinvasive Glaucoma Surgery With Phacoemulsification in Open-Angle Glaucoma: A Systematic Review and Meta-analysis. Am J Ophthalmol [Internet]. 2025 Feb 1 [cited 2025 Oct 28];270:154–63. Available from: https://www.sciencedirect.com/science/article/pii/ S0002939424003337

11. Mai DD, Ingram Z, Oberfeld B, Solá-Del Valle D. Combined Microinvasive Glaucoma Surgery–A Review of the Literature and Future Directions. Semin Ophthalmol. 2023 Aug 18;38(6):529–36.

12. Combined surgery versus cataract surgery alone for eyes with cataract and glaucoma - Hirunyachote, P - 2014 | Cochrane Library [Internet]. [cited 2025 Oct 28]. Available from: https://www.cochranelibrary.com/ cdsr/doi/10.1002/14651858.CD008671.pub2/full

Consideraciones quirúrgicas para el implante en humanos del dispositivo sintético corneal de Gore

Autores: Arturo Ramírez Miranda, Raúl Hernán Barceló Cantón Coautores: Daniela Fábregas Sánchez Woodworth, Gustavo Ortiz Morales, Enrique O. Graue Hernández

Introducción:

La ceguera corneal es una causa importante de discapacidad visual. En ciertos casos, los trasplantes corneales son útiles para su tratamiento; sin embargo, la alta demanda, junto con la baja disponibilidad de tejido, limita su acceso, especialmente en países en desarrollo. Actualmente, se estima que existe una córnea disponible por cada 70 pacientes que la requieren. Esta situación ha impulsado el desarrollo de diversos dispositivos artificiales de reemplazo corneal.

La queratoprótesis de Boston (KPro) tipo 1 es el dispositivo corneal artificial más implantado actualmente en el mundo; sin embargo, requiere tejido corneal para su colocación en un ojo humano. Asimismo, los dispositivos KPro no generan una biointegración adecuada, lo que conlleva múltiples complicaciones, como queratólisis estéril, formación de membranas retroprostésicas, glaucoma secundario, endoftalmitis y extrusión del dispositivo. Esto llevó al desarrollo de dispositivos artificiales flexibles con capacidad de biointegración. El dispositivo sintético de Gore permite una adecuada biointegración sin necesidad de tejido corneal. Los modelos animales, principalmente en conejos, han demostrado excelente biocompatibilidad, integración y una reducción en la incidencia de inflamación postoperatoria.

Materiales y métodos:

Se evaluó el implante sintético de Gore en pacientes del Instituto de Oftalmología Fundación Conde de Valenciana, IAP, en la Ciudad de México. Se consideró para cirugía a pacientes adultos de más de 18 años con opacidad secundaria a edema corneal independientemente de falla de injerto previa. Los pacientes sometidos al procedimiento requerían tener visión peor a 20/400, ser pseudofacos, tener buena función palpebral, una superficie ocular húmeda y un grosor corneal central entre 700-900 micras. Se excluyeron pacientes con anormalidades en el segmento anterior, glaucoma secundario, deficiencia de células del limbo, enfermedades autoinmunes y antecedente de lesión por quemaduras químicas.

Especificaciones del dispositivo:

El dispositivo sintético de Gore está compuesto en su centro por una sola pieza en configuración de óptica y falda, construida a partir de perfluoroalcoxi alcano compacto, flexible y suturable. El diámetro anterior óptico mide 4.6 mm y el posterior 4.28 mm con un grosor central de 1.2 mm. La falda se extiende hasta un diámetro total de 6.8 mm para su integración corneal. La porción de la falda contiene 16 aperturas que permiten el paso de nutrientes e

Arturo Ramírez Miranda
Raúl Hernán Barceló Cantón

hidratación del humor acuoso a la lamela anterior. La porción óptica está diseñada para replicar la claridad refractiva natural de la córnea y ofrece un poder de 43.5 dioptrías.

Resultados:

Técnica:

La técnica de implantación es modificada de la técnica usada en conejos y utiliza anestesia general y un tomógrafo de coherencia óptica (OCT) intraoperatorio. Se sutura un anillo de Flieringa y se trepana parcialmente una porción de 4 a una profundidad aproximada de dos tercios del grosor corneal. Se realiza un bolsillo intraestromal de 360° usando una cucharilla angulada de doble bisel. Es importante dejar un grosor de una lamela anterior entre 200 a 400 micras. Se realiza una paracentesis y se ingresa viscoelástico a cámara anterior. Se realiza una escisión del botón corneal con diámetro de 4 mm usando tijeras tras profundizar la trepanación inicial. El dispositivo de Gore es introducido con un fórceps y rotado usando un Sinskey. Esto permite maniobrar la falda flexible del dispositivo hasta estar 360° dentro del bolsillo estromal sin doblar. Se confirma la posición del dispositivo mediante el uso de OCT intraoperatorio. Se sutura el dispositivo con 16 suturas interrumpidas de nylon 10-0 del tejido corneal receptor al centro del dispositivo para evitar retracción del centro óptico. Se irriga la cámara anterior con solución salina balanceada para eliminar el viscoelástico y evitar picos hipertensivos.

Manejo postoperatorio:

Se utiliza una combinación de antimicrobiano (moxifloxacino 0.5%) y de antiinflamatorio (acetato de prednisolona 1%) tópicos en dosis con esquema de reducción progresiva hasta por tres meses. Se usó de similar manera lubricantes libres de conservador e hipotensores tópicos según necesario.

Discusión:

La prótesis corneal ideal debe contar con buena claridad óptica que le permita estar libre de aberraciones ópticas y de definir correctamente el poder refractivo. De igual manera debe proteger correctamente contra infecciones, tener larga durabilidad, permitir adecuadamente la administración de medicamentos tópicos y ser de costo-beneficio para permitir su accesibilidad global. El implante de Gore permite una adecuada biocompatibilidad y biointegración y modelos animales han mostrado buena integración con migración de fibroblastos y depósitos de colágeno. Permite correctamente una buena transmisión de la luz de hasta 9296% con un potencial visual predecible por el poder refractivo estable de 43.5 dioptrías. La flexibilidad del dispositivo permite una mejor distribución del estrés comparado con un plato óptico y rígido de una KPro.

Referencias:

1. Ramirez-Miranda A, Ortiz-Morales G, Domene-Hickman JL, Fabregas-Sanchez-Woodworth D, Garcia-Padilla L, Navas A, Akpek EK, Graue-Hernandez EO. Surgical Considerations for the Human Implantation of the Gore Synthetic Corneal Device. Cornea. 2025 Nov 1;44(11):14261430. doi: 10.1097/ICO.0000000000003950. Epub 2025 Aug 14. PMID: 40810416; PMCID: PMC12479059.

Edición n°1. Volumen 133
Figura 1. Fotografía en lámpara de hendidura de un dispositivo sintético corneal de Gore. Un mes después de su implante.
Figura 2. OCT de segmento anterior dispositivo sintético corneal de Gore. Un año después de su implante.

Sección patrocinada laboratorios Sophia 28

Superficie ocular en foco: retos diagnósticos y terapéuticos en patología corneal compleja

Durante el 12.º Encuentro Ocular Surface MasterClass, organizado por Laboratorios Sophia, la superficie ocular volvió a ocupar un lugar central en la discusión académica, al reunir a especialistas para analizar casos clínicos de alta complejidad que reflejan los desafíos diagnósticos y terapéuticos actuales en patología corneal. En este contexto, la Dra. Itzel Priscila Aguilar y el Dr. Jesús H. Dávila Alquisiras presentaron y discutieron dos casos representativos que pusieron de relieve la importancia de un abordaje integral, sustentado en la evidencia científica y en la experiencia clínica especializada.

Deficiencia de células del limbo asociada a penfigoide ocular

Durante el encuentro, la Dra. Itzel Priscila Aguilar presentó un caso clínico centrado en la deficiencia de células del limbo, con el objetivo de analizar de forma estructurada el abordaje diagnóstico y discutir las opciones de rehabilitación visual a partir de la evidencia científica disponible. Se trató de un paciente masculino de 48 años, originario y residente de Poza Rica, Veracruz, con ocupación como ingeniero químico, quien acudió a consulta por disminución visual progresiva en el ojo izquierdo, con inicio en 2013, manifestando como principal expectativa la posibilidad de una rehabilitación visual funcional.

Dentro de sus antecedentes personales patológicos destacó alergia a yodo y cortisona, mientras que los antecedentes heredofamiliares fueron interrogados y negados. En el apartado oftalmológico, contaba con un diagnóstico clínico de penfi-

goide ocular establecido en el año 2020, dato de particular relevancia para la interpretación del cuadro actual.

En la exploración oftalmológica inicial, la agudeza visual mejor corregida fue de 20/32 en el ojo derecho y de 20/800 en el ojo izquierdo, evidenciando un compromiso visual severo unilateral. La presión intraocular se encontró dentro de parámetros normales, con 12 mmHg en el ojo derecho y 11 mmHg en el ojo izquierdo, sin datos sugestivos de hipertensión ocular.

Como parte de la valoración integral, se planteó la necesidad de profundizar en el interrogatorio clínico, particularmente en relación con el tiempo de evolución, antecedentes de exposición a álcalis, ácidos o radiación, uso de lentes de contacto, exposición a 5-fluorouracilo o mitomicina C, así como antecedentes de conjuntivitis alérgicas, todos ellos factores potencialmente relacionados con el desarrollo o la progresión de la deficiencia limbar.

Los estudios de imagen aportaron información relevante para la caracterización del segmento anterior. La ultrabiomicroscopía mostró un ojo fáquico, con una córnea de grosor central de 640 micras, engrosamiento periférico y perilimbar en el cuadrante temporal, cámara anterior de 2.73 mm y ángulos cerrados en los cuatro cuadrantes, con cuerpo ciliar e iris sin alteraciones estructurales. Por su parte, la ecografía modo B reveló un eje anteroposterior de 22.75 mm, cristalino ecosilente, presencia de condensaciones vítreas, retina aplicada y una coroides y nervio óptico de aspecto normal.

Con base en estos hallazgos, el cuadro fue interpretado como una deficiencia de células del limbo en el contexto de penfigoide ocular, asociada a una pérdida visual profunda en el ojo izquierdo. A partir de este diagnóstico, se discutieron distintas alternativas terapéuticas con fines de rehabilitación visual, incluyendo el aloinjerto queratolímbico (KLAL) con queratoplastia penetrante en un segundo tiempo, el trasplante esclerocorneal y la queratoprótesis de Boston tipo 1.

Para sustentar esta discusión, se revisó el estudio retrospectivo Visual outcomes of primary keratoprosthesis implantation in transplant-naïve eyes, realizado en el Departamento de Oftalmología de la Duke University School of Medicine, que incluyó 84 ojos intervenidos entre 2005 y 2020, de los cuales 12 correspondieron a queratoprótesis primaria. En dicha serie, la deficiencia de células del limbo representó el 41.7 % de los diagnósticos subyacentes en el grupo de queratoprótesis primaria, frente al 9.6 % en los casos secundarios, con resultados visuales que mostraron mejoría sostenida y un perfil de complicaciones comparable entre ambos grupos.

Queratitis fúngica por Curvularia lunata: un reto diagnóstico en superficie ocular

En el mismo foro académico, el Dr. Jesús H. Dávila Alquisiras, especialista en superficie ocular, córnea y cirugía refractiva, presentó un caso clínico de queratitis infecciosa por hongos pigmentados, desarrollado en el Hospital General de México “Dr. Eduardo Liceaga”.

El paciente negó enfermedades sistémicas, uso de lentes de contacto y antecedente de traumatismo ocular. En relación con el inicio del padecimiento, se documentó el uso de lavados con manzanilla, seguido de tratamiento tópico con dexametasona/neomicina. Al momento de la evaluación, se encontraba bajo tratamiento con netilmicina, moxifloxacino, neomicina-polimixina, doxiciclina, itraconazol oral y vitamina C.

En la exploración oftalmológica, el ojo derecho presentó una agudeza visual de 20/20, presión intraocular de 13 mmHg medida con tonometría Icare, y biomicroscopía y fondo de ojo sin alteraciones. El ojo izquierdo mostró una agudeza visual de cuentadedos a 1 metro, presión intraocular de 10 mmHg, con hallazgos patológicos en la biomicroscopía del segmento anterior, documentados fotográficamente. El fondo de ojo se evaluó mediante ecografía, sin hallazgos adicionales relevantes.

Con base en la evolución clínica y los hallazgos, se estableció inicialmente el diagnóstico de queratitis por hongos pigmentados, iniciándose tratamiento con natamicina y voriconazol tópicos cada 2 horas, asociados a doxiciclina 100 mg cada 24 horas, tratamiento protector, lubricación con hialuronato de sodio y seguimiento estrecho a las 72 horas.

Durante el análisis del caso, se revisó el artículo “Incidencia de úlceras corneales microbianas en el Servicio de Oftalmología del Hospital General de México Dr. Eduardo Liceaga”, correspondiente al año 2013, en el que los aislamientos fúngicos representaron el 18 % del total de cultivos positivos, destacando especies como Aspergillus fumigatus, Fusarium y Candida albicans. Asimismo, se revisaron aspectos relacionados con la biología y diseminación de hongos filamentosos, así como el uso de proteómica mediante MALDI-TOF MS como herramienta diagnóstica para una identificación más rápida y precisa.

Diagnóstico: Queratitis por Curvularia lunata

Tras el seguimiento clínico y los estudios microbiológicos correspondientes, se estableció el diagnóstico definitivo de queratitis por Curvularia lunata. El esquema terapéutico se ajustó a natamicina y voriconazol tópicos cada 4 horas durante tres meses, doxiciclina 100 mg cada 24 horas por un mes, tratamiento protector y lubricación intensiva, con seguimiento mensual y continuidad de atención con su oftalmólogo tratante.

Conclusión

Los casos presentados durante el 12.º Encuentro Ocular Surface MasterClass de Laboratorios Sophia reflejan la complejidad diagnóstica y terapéutica de la patología de la superficie ocular, así como la importancia de la actualización continua, el análisis crítico de la evidencia y el trabajo multidisciplinario. La participación de la Dra. Itzel Priscila Aguilar y el Dr. Jesús H. Dávila Alquisiras enriqueció la discusión académica y reafirmó el valor de estos espacios educativos en la formación y práctica del oftalmólogo contemporáneo.

Dra. Itzel Priscila Aguilar y Dr. Jesús H. Dávila

Producto Laboratorios Sophia

Gaap® Ofteno y Gaap PF: tratamiento de primera línea para el Glaucoma

La ceguera y la discapacidad visual representan problemas críticos de salud pública, afectando a aproximadamente 596 millones de personas en el mundo. El glaucoma, principal causa de ceguera irreversible y segunda causa de ceguera global, constituye una carga médica y socioeconómica considerable. En 2020, más de 70 millones de personas vivían con glaucoma, cifra que podría superar los 110 millones para 2040 [1].

Los medicamentos hipotensores oculares, particularmente los análogos de prostaglandinas constituyen la primera línea terapéutica para esta patología [6]. El latanoprost fue aprobado por la FDA desde 2002 como tratamiento para pacientes con glaucoma e hipertensión ocular, ya que reduce la presión intraocular (PIO) principalmente mediante el aumento del flujo uveoescleral [2], disminuyendo el riesgo de la progresión de la neuropatía.

En la actualidad, se prefieren las formulaciones oftálmicas sin conservadores para el tratamiento a largo plazo de enfermedades crónicas ya que se elimina el riesgo de los potenciales efectos nocivos de dichos preservantes sobre la superficie ocular. Estos efectos pueden ocasionar signos y síntomas que alteran la calidad de vida de los pacientes, y pueden poner en riesgo la eficacia del tratamiento pues una baja tolerabilidad genera una pobre adherencia al mismo [3].

La eficacia y seguridad de análogos de prostaglandinas sin conservadores han sido ampliamente demostrados en comparación a sus contrapartes con preservantes. Joon Mo Kim et al. observó que el latanoprost 0.005% sin conservadores logró una reducción de la PIO de 33.16% a las 12 semanas [4]. Estudios de vida real han confirmado que el control tensional se mantiene estable durante 12 meses [5].

Atendiendo a las necesidades de los oftalmólogos y pacientes de México y del resto de LATAM, Laboratorios Sophia S.A. de C.V. proporciona soluciones efectivas, seguras e innovadoras. Tal es el caso de Gaap Ofteno y Gaap PF. Estas formulaciones de latanoprost al 0.005% han demostrado la reducción de la PIO con resultados equivalentes al medicamento de referencia, aportando además una menor incidencia de

hiperemia conjuntival y lagrimeo. Incluso en su versión libre de conservadores, y alineado con la información científica disponible internacionalmente [6]. Gaap PF ha probado que permite mantener la PIO meta de los pacientes con GPAA, sin diferencias significativas frente a la formulación con conservadores con variación máxima de 0.15 mmHg, mientras protege a la superficie ocular al carecer de los potenciales efectos deletéreos del BAK [7]. Además, es bien sabido que las formulaciones sin conservadores muestran menor sobreexpresión de MMP-9 y mejor preservación de la superficie ocular [4] [5].

Gaap Ofteno y Gaap PF ofrecen un perfil de seguridad superior que además se evalúa constantemente gracias al robusto departamento de Farmacovigilancia de Laboratorios Sophia. Las reacciones adversas más comunes, y habitualmente menores en comparación con otros análogos de prostaglandinas (como la hiperemia conjuntival, la hiperpigmentación del iris y cambios en las pestañas y el vello del párpado) suelen ser leves y transitorias, sin afectar la adherencia al tratamiento a largo plazo ni causar secuelas clínicas negativas.

En congruencia con los valores, misión y visión de Laboratorios Sophia, cuya trayectoria ahora se extiende por más de 79 años, continuamos mejorando la calidad de vida de todos los pacientes que usan nuestros productos. Al que todos los oftalmólogos queremos que todos vean un mundo mejor.

Referencias:

1. D. Mora-Paez, «Latin American Prevalence of Glaucoma: A Systematic Review and Meta-Analysis,» Vision, vol. 9, nº 42, 2025.

2. P. A. Netland, Glaucoma Medical Therapy Principles and Management, Rijnsburg, The Netherlands: Kugler Publications, 2021, p. 310.

3. D. W. Steven, «Preservatives in glaucoma medication,» Br J Ophthalmol, vol. 102, 2018.

4. J. M. Kim, «Efficacy and safety of newly developed preservative free latanoprost 0.005% eye drops versus preserved latanoprost 0.005% in open angle glaucoma and ocular hypertension: 12-week results of a randomized multicenter, controlled phase III trial,» Int J Ophthalmol, vol. 14, nº 10, 2021.

5. M. A. Economou, «Better tolerance of preservative-free latanoprost compared to preserved glaucoma eye drops: the 12-month real-life FREE study,» Clinical Ophthalmology, vol. 12, pp. 3-8, 2018.

6. F. Gil-Carrasco, «Estudio de la eficacia y seguridad de dos diferentes formulaciones de latanoprost al 0.005% en glaucoma primario de ángulo abierto,» Rev Mex Oftalmol, vol. 83, nº 2, 2009.

7. L. M. Baiza-Duran, «Efficacy and tolerability of a preservative-free 0.005% latanoprost in glaucoma patients: a prospective crossover study,» Investigative ophthalmology & visual science, vol. 59, nº 9, 2018.

Edición n° 1. Volumen 133

ASOCIACIÓN LATINOAMERICANA DE CIRUJANOS DE CATARATA, SEGMENTO ANTERIOR Y REFRACTIVA (ALACCSA-R)

/ p. 25

© 2017 Alaccsa-R • 2446 W Whittier Blvd, Montebello, CA 90640-3041, USA https://alaccsa.com/contactenos/

BAUSCH + LOMB

/ p. 1

MEX

Tel.: (55) 50-62-40-00 (55) 50-62-48-00 01-800-800-83-03 www.valeant.com.mx/bausch/

DEWIMED S.A.

/p. 21

MEX

Tel.: (55) 56 06 07 77

Fax.: (55) 56 06 05 20 ventas@dewimed.com.mx www.dewimed.com.mx

HEIDELBERG ENGINEERING

/p. 11

MEX

ARFAMEX

Tel.: +52 55 5135 6646 • 6648 E-mail: sales@arfamex.com

LABORATORIOS SOPHIA / p. 17, Portada 4 COL

Tel.: +57 (1) 3778555

SOPHILINEA: 01800121293 www.sophia.com.mx

E-mail: contacto@sophia.com.mx

LUMIBIRD MEDICAL

/p. 13

USA

Tel.: (1) 888 660 6726 / (1) 888 660 6726

Fax: (1) 406 522 2005 / (1) 406 522 2005 contact@quantel-medical.fr www.lumibirdmedical.com

OFTÁLMICA INTERNACIONAL / p. 5

MEX Tijuana B.C (Matriz)

Tel.: (664) 684-8230

Wasap: (664) 279-3004 marcela@oftalmica.com

CDMX (Sucursal)

Tel.: (55) 5584 5594 Wasap: (553) 341 2224 bertha@oftalmica.com

CDMX (Equipos)

Tel.: (55) 5584 5594

Wasap: (553) 341 3140 hugo@oftalmica.com

Turn static files into dynamic content formats.

Create a flipbook