Revista 20/20 Mexico - Quinta Edición 2025

Page 1


Desde la portada

Publirreportajes

16 Luis Cerqueira al frente de la visión de EssilorLuxottica Professional Solutions en México

18 AMFECCO: XII Congreso Nacional de Optometría SEUAT

22 EssilorLuxottica: Miraflex evoluciona su portafolio con diseños para niños y tecnología para adolescentes

30 Essilor Luxottica KODAK: Ve las infinitas posibilidades de la vida

44 Buyes Optical: La epidemia de la miopía en México

46 Coopervision: Recomendaciones en el manejo de la miopía

54 Augen: ¿Lentes solares son moda o son prescripción?

56 Vertex: La precisión detrás de una visión perfecta: medidas correctas en lentes progresivos digitales

60 Visión Plus: Las Normas Y Estándares En Micas Oftálmicas: Garantía De Calidad II

62 Masterlens: Optimism presenta sus nuevos terminados Poly

63 Masterlens: Más opciones, más soluciones

Especial Moda y Tendencias

Y2K y el regreso de los lentes futuristas: oportunidades para la óptica en Latinoamérica

26 #HASHTAG: Armonía y prisma: balance entre color y diseño

28 Colecciones Lucy’s Optical: Maxim Paris

Especial: Contactología

Caso clínico: Adaptación de lentes esclerales en paciente pediátrico con síndrome de Joubert y ulceraciones corneales recurrentes

38 Evaluación integral en ortoqueratología

42 Cómo poner una consulta especializada en lentes de contacto

Mi óptica

Tres claves para rentabilizar las lentes de contacto

Infolab

Cuando los números dejaron de ser cifras y se convirtieron en estrategia

Tecnología

Colaboración humana + IA en optometría: redefiniendo el rol del clínico

Lentes y armazones

Diseño que transforma visión y estilo

Especial Summit

Así vivimos el Summit VisionyÓptica™ 2025

Eventos

40 años de SofLens®: una historia que sigue viendo más allá

78 Vision Expo West se despide de Las Vegas

Editorial

Queridos lectores,

Compartir con ustedes lo que vivimos en el Summit Visión y Óptica 2025 es un verdadero privilegio. Esta edición nos permitió comprobar, una vez más, la fuerza de un sector que se reúne para aprender, compartir y crecer en comunidad. Durante tres días, la Ciudad de México se convirtió en un punto de encuentro donde la educación, la innovación y el compromiso fueron protagonistas.

Más de 1300 profesionales de la salud visual, participaron en 117 simposios, conferencias, talleres y demás actividades académicas, con la presencia de 56 expertos nacionales e internacionales que aportaron su conocimiento y experiencia.

La industria también fue protagonista de este encuentro. Con la presencia de 49 compañías líderes, la zona comercial se consolidó como un espacio de networking, tendencias e innovación. Cada stand ofreció una visión del futuro de la salud visual, presentando tecnologías, lentes y equipos que fortalecen la práctica profesional y abren nuevas oportunidades para los ópticos, optometristas y oftalmólogos de la región. Su respaldo demuestra que cuando la industria y los profesionales trabajan juntos, el sector alcanza un nivel más alto de desarrollo.

Un aspecto que nos llena de orgullo fue contar con el aval académico de la Universidad Autónoma de La Laguna (UAL), que respalda la solidez y calidad cientí-

fica del programa. Asimismo, la participación de AMFECCO aportó una mirada valiosa desde la práctica optométrica, fortaleciendo los contenidos clínicos y profesionales. Todo esto fue posible gracias a nuestra alianza estratégica con IMEVI, institución con la que construimos un programa académico sólido y de gran relevancia para todos los asistentes.

Lo más valioso que nos dejó el Summit es la certeza de que la educación es la herramienta que transforma y profesionaliza al sector. Cada momento de este encuentro fue una muestra de que, cuando el conocimiento circula, todos ganamos: los profesionales, la industria y, sobre todo, los pacientes.

Quiero expresar mi más profundo agradecimiento a los patrocinadores, conferencistas, instituciones aliadas y asistentes que hicieron posible este evento. Y, en especial, al equipo de Creative Latin Media, que con entrega, talento y compromiso logró que cada detalle estuviera a la altura de este gran encuentro.

El cierre de esta edición no es un punto final, sino el inicio de nuevas oportunidades. Con más alianzas, aprendizajes y proyectos por venir, seguiremos trabajando para que la salud visual en nuestra región avance con pasos firmes.

Con gratitud y entusiasmo,

Sergio Plotnicoff Director General Creative Latin Media – Revista 20/20

LENTES ULTRA DINÁMICOS

LENTES ULTRA DINÁMICOS

INTELIGENTES A LA LUZ

INTELIGENTES

¡Encuentra tu color de lentes perfecto!

¡Encuentra tu

LENTES ULTRA DINÁMICOS

INTELIGENTES A LA LUZ

¡Encuentra tu color de lentes perfecto!

VENTAS:

USA, Europa y Brasil

Héctor Serna - Director Comercial Cel: +1 561 4437192 ventas1@clatinmedia.com

México: Carlos Cerezo

Cel: +52 5513523306 ccerezo@clatinmedia.com

Latinoamérica: Kelly Triana Cel: +57 (320) 945-4400 ktriana@clatinmedia.com

Proyectos Especiales: Ángela Peralta pespeciales@clatinmedia.com Cel: +57 (320) 945-4382

OFICINAS:

USA: 2901 Clint Moore Rd, P.M.B 117 Boca Raton, FL 33496, Tel: +1 (561) 716-2711

Colombia: Carrera 7 No. 106 - 73 Of. 301 Bogotá, Colombia, Tel: +57 (310) 304-8820

México: Río Mississippi 49, piso 14, int. 1402. Colonia Cuauhtémoc, Alcaldía Cuauhtémoc, Ciudad de México, CP. 06500, Tel: (55) 2803-8170

20/20 México

Es una revista producida y distribuida por Creative Latin Media, LLC. en Boca Ratón en la Florida (USA), bajo la licencia de Jobson Healthcare, LLC. Su distribución es para todos los profesionales de la Salud Visual que cumplan con los requisitos para recibir la revista en América Latina. Tarifas de suscripción anual: Colombia US$90; México US$90; América Latina (países habla hispana) US$120; Brasil US$250; USA y Canadá US$250; Europa por correo aéreo US$ 300; por correo aéreo a todos los demás países US$350. Para suscripciones comuníquese a suscripciones@clatinmedia.com.

Preprensa Creative Latin Media LLC. Otros productos de Creative Latin Media LLC son: 20/20 en Español. Visionyoptica.com.

WebApp 20/20 en Español y México. Review of Ophthalmology en Español. Review Of Ophthalmology México. Oftalmologoaldia.com.

WebApp Review Of Ophthalmology en Español y México.

Creative Latin Media no se responsabiliza por los contenidos publicados en los anuncios, comentarios o artículos suministrados por los profesionales de la salud visual o anunciantes en las revistas.

MÉXICO

Editora Clínica Patricia E. García A. O.D.

Editoras 20/20 México

Editores 20/20 en Español

Elizabeth Olguín Cecimar Kerch

Anaís Barrera

Juliana Velásquez Franco

Miguel González Aguilar

Editora clínica colaboradora Katherine González O.D.

Editora Europa Laura Mercado Producción y Preprensa Alejandro Bernal

Diseño Gráfico Nathalia López

Profesional Logística Ximena Ortega Bernal

Diseñador Gráfico de Medios Digitales Cristian Puentes

Director General (CEO) Sergio Plotnicoff

Presidente Honorario Juan Carlos Plotnicoff

Directora de Comunicaciones Laura Malkin-Stuart

Directora Administrativa y Financiera Luisa Fernanda Vargas A.

Dirección de Distribución José Antonio Ferrarotto

Para temas editoriales contactarse con: Elizabeth Olguin (eolguin@clatinmedia.com)

Las traducciones y el contenido editorial de 20/20 En Español, no pueden ser reproducidos sin el permiso de Creative Latin Media™.

Producida / Editada / Diseñada / Distribuida por: 3 Touch Media S.A.S.

Creative Latin Media LLC

2901 Clint Moore Rd, P.M.B 117, Boca Raton, FL 33496- USA

Tel: +1 (561) 716 2711

e-mail: suscripciones@clatinmedia.com

Oficinas y Ventas

Lo nuevo de

Luis Cerqueira al frente de EssilorLuxottica Professional Solutions en México

La historia de Luis Cerqueira con EssilorLuxottica Professional Solutions es una de crecimiento, compromiso y pasión por la innovación. Desde que comenzó su trayectoria dentro de la compañía en 2004 como pasante de TI en Brasil, su carrera ha estado marcada por la curiosidad, el liderazgo y una profunda conexión con la industria óptica. A lo largo de los años, ha recorrido distintos países y posiciones, aportando su experiencia en finanzas, operaciones y desarrollo de negocios, siempre con el propósito de impulsar la excelencia y el valor para los clientes. En 2007, fue parte de Essilor of America en Dallas para integrarse al departamento de finanzas durante seis años y estuvo a cargo de la gestión financiera de 55 laboratorios asociados para, luego, llegar a Nueva York donde supervisó las operaciones de 13 laboratorios y lideró iniciativas de desarrollo de negocios.

Pero, luego de un hiato desde 2019 donde estuvo en Brasil dirigiendo a Satisloh para Latinoamérica y el Caribe, llegó una oferta imposible de rechazar. En este 2025, Luis escribe un nuevo capítulo en esta historia con EssilorLuxottica Professional Solutions para ser el gerente general de México. Este nuevo cargo representa no solo la continuidad de un camino profesional brillante, sino también una renovación de su compromiso con el desarrollo de la salud visual en el país.

Previo al anuncio y en el marco del Summit Visión y Óptica™ 2025, Luis Cerqueira compartió su entusiasmo y reflexionó sobre los retos que representa este nuevo capítulo en EssilorLuxottica Professional Solutions. Con una destacada trayectoria marcada por años de experiencia dentro de la organización, Cerqueira vive esta etapa como un hito significativo en una carrera construida con pasión, liderazgo e innovación.

Un regreso con propósito

Con una sonrisa que refleja entusiasmo y una visión clara del futuro, Cerqueira habló sobre el significado de este paso en su trayectoria dentro de EssilorLuxottica Professional Solutions, dejó ver el impulso que lo mueve y la confianza en el equipo que lo acompaña: “Para el 2026, seguro que con nuestro gran equipo -que tiene mucha experiencia y es muy talentoso- la idea es traer mucha innovación a la industria, a toda la cadena óptica. Mucha innovación, mucha tecnología y, sobre todo, crear mucho valor para nuestros clientes y aliados”, expresó Cerqueira.

Sus palabras resonaron como una promesa de evolución y colaboración para fortalecer el futuro de la salud visual en México, pero él está consciente del gran reto que lo acompaña, aunque su camino en el mundo de la salud y tecnología visual lo respalda: “llevo más de 20 años en la industria. Empecé con EssilorLuxottica Professional Solutions en Brasil en 2004 donde tuve diferentes responsabilidades en finanzas, en gestión de laboratorios y también manejé la parte comercial (...) Por eso, quiero que, especialmente la industria, sepa que nuestra intención es que la marca sea cada vez más cercana. Hace poco hablábamos justamente de eso: de lograr que EssilorLuxottica Professional Solutions esté más próxima a todos los que forman parte de este gran emporio que representa la óptica”.

México lo recibe con los brazos abiertos

Durante la conversación, Cerqueira destacó el valor de la conexión humana como pilar fundamental de su visión para EssilorLuxottica Professional Solutions. Reconoció la calidez y el esfuerzo del pueblo mexicano como una inspiración para fortalecer los lazos con clientes y aliados, y reafirmó su compromiso con una gestión más próxima y colaborativa: “La cultura en México es de mucha cercanía, hay un gran esfuerzo del pueblo mexicano, y esa parte para mí es algo muy natural. Me encanta estar con los clientes, con amigos, con aliados, y seguro que esa va a ser una de las cosas en las que vamos a enfocarnos: estar cada vez más cerca de nuestros clientes, ofrecer las mejores soluciones y apoyarles cada vez más”, compartió Cerqueira.

Nueva etapa, más innovación

Con entusiasmo y una visión clara hacia el futuro, Cerqueira habló sobre el papel de la tecnología como motor de transformación dentro de EssilorLuxottica Professional Solutions. Convencido de que la innovación será clave para el crecimiento de la industria óptica, adelantó que el 2026 traerá desarrollos que marcarán un antes y un después en la manera de entender la salud visual con un lanzamiento que impactará a la industria.

“Tenemos claro el potencial de Ray-Ban Meta, y viene mucha más innovación. Estamos invirtiendo fuertemente en la industria, y puedo decir que el 2026 será un año muy interesante. No se lo pierdan, porque el producto que vamos a lanzar va a revolucionar toda la industria. Van a ser muchos productos, con evoluciones tecnológicas y una fuerte integración de inteligencia artificial. Sí, mucha innovación viene en camino”, afirmó Cerqueira.

El 2026 se vislumbra realmente prometedor para la industria y para lo que EssilorLuxottica Professional Solutions tiene para ofrecer, de la mano de un talentoso profesional que aportará su visión al mercado mexicano. “Quiero expresar mi profunda admiración por el pueblo mexicano. Son personas llenas de pasión y compromiso, que aportan un valor incalculable a la industria óptica. Para mí, es un verdadero honor poder servirles y acompañarlos en este camino”, concluyó un emocionado Luis Cerqueira, quien se muestra motivado por este nuevo reto y confía en que, junto con la industria óptica, podrán construir un futuro brillante para la salud visual en México.

“Una de las cosas en las que vamos a enfocarnos: estar cada vez más cerca de nuestros clientes, ofrecer las mejores soluciones y apoyarles cada vez más”

Miraflex evoluciona su portafolio con diseños para niños y tecnología para adolescentes

Reforzando su ADN de “Amor por los niños”, la marca presenta una evolución de su línea Flexibles y Seguras, ofreciendo mayor comodidad y fomentando que los niños exploren el mundo.

Miraflex, marca de referencia en armazones infantiles, anuncia el lanzamiento de la línea Full Flexible, dirigida a niños de 3 a 7 años, junto con los nuevos modelos Lifestyle que incorporan tecnología de filtro de luz azul para niños de 7 a 13 años.

La colección Full Flexible fue diseñada para niños en primera infancia, de entre 3 y 7 años, inspirándose en la categoría Baby Born de Miraflex, dirigida a niños de 0 a 3 años. La línea recibe su nombre por su diseño anatómico y flexibilidad, elaborada con Fort-X, un material bioinyectado patentado que hace que los armazones sean cinco veces más resistentes a los impactos. Las varillas flexibles garantizan comodidad y un mejor ajuste, permitiendo que los niños exploren el mundo durante todo el día sin molestias.

Además, los modelos cumplen con los estándares internacionales de seguridad para juguetes*, lo que refuerza el compromiso de la marca con la protección. La colección incluye tres modelos, disponibles en una amplia variedad de colores .

Para niños de 7 a 13 años, la línea Lifestyle fue creada pensando en un consumidor más activo. Con una variedad de colores y formas, la colección invita a los niños a expresar libremente su personalidad. Lanzada en 2024, la línea ahora incorpora dos nuevos modelos con tecnología de filtro de luz azul*, que protege los ojos de los rayos UV y de la luz azul emitida por televisores, computadoras y dispositivos móviles. Esta característica aumenta la comodidad y la seguridad, sin perder el espíritu divertido y alegre de la marca.

Referencias

1. *Luz azul entre 400 y 455 nm, definida por la norma ISO TR20772:2018. **Normas de seguridad EN 71-1 y US ASTM F963-17.

Lentes KODAK Precise

• Transiciones suaves entre cada foco de visión para una sensación más natural.

• Lentes Kodak Precise diseñado para armazones amplios.

• También disponible en versión Lentes Kodak Precise Short diseñado para armazones pequeños.

• El lente ideal para tu primera experiencia con un lente progresivo.

Lentes KODAK Easy2 Max

• Fácil adaptación a cualquier distancia.

• Es la lente progresiva digital con libertad de prescripción para facilitar la adaptación.

• Proporciona un enfoque rápido y sencillo.

• Facilidad de movimientos naturales al ojo.

• Para una gran variedad de armazones.

Lentes KODAK Unique DRO

• Para las personas más exigentes y demandantes.

• Podrás ver todo con claridad y precisión.

• Ayuda a ambos ojos a trabajar en sincronía para un extraordinario confort visual.

• Se adapta a la medida del armazón.

Lentes KODAK Unique Infinite

• Aumenta la zona intermedia sin comprometer las zonas de visión de lejos a cerca.

• Reduce la distorsión periférica, mejorando la visión general del usuario.

• Minimiza las molestias al cambiar entre las zonas de visión.

The Kodak trademark, logo and trade dress are used under license from Kodak. ©2025 ELOA.

Y2K y el regreso de los lentes futuristas: oportunidades para la óptica en Latinoamérica

La moda es cíclica, y el fenómeno del revival del Y2K está transformando nuevamente el mercado óptico. Aunque para muchos el concepto Y2K puede ser algo nuevo, en realidad se refiere al ‘Year 2000’. Este término alude a la estética tecnológica y futurista que marcó finales de los años noventa e inicios de los 2000.

Hoy, en pleno 2025 y con la mirada puesta en el 2026, esta tendencia resurge con fuerza. La Generación Z, definida por su consumo digital y su constante búsqueda de diferenciación estética, ha resignificado estilos de gafas que hace dos décadas se relacionaban al deporte, la velocidad y la cultura pop tecnológica con monturas envolventes, lentes espejados y diseños de inspiración futurista

Para los profesionales de la salud visual en América Latina, este retorno representa más que una tendencia estética, es una verdadera oportunidad estratégica de reposicionamiento frente a un público joven, altamente exigente y con gran influencia en el consumo.

Las claves técnicas del revival Y2K

La estética Y2K aplicada al eyewear se caracteriza por elementos ópticos y de diseño que requieren una mirada experta:

• Diseños envolventes: monturas curvadas con alta cobertura que exigen precisión en el tallado de lentes oftálmicos para garantizar campos visuales correctos y evitar aberraciones periféricas.

• Lentes espejados: un acabado que combina funcionalidad (protección frente a radiación solar intensa) con un alto valor estético. El desafío está en equilibrar la moda con recubrimientos de calidad óptica y durabilidad.

• Geometrías deportivas: formas aerodinámicas inspiradas en el ciclismo, el running o el esquí, que requieren montajes específicos y asesoría personalizada según las necesidades visuales del usuario.

• Materiales tecnológicos: el uso de policarbonato y nylon inyectado, materiales ligeros y resistentes, que facilitan diseños vanguardistas sin comprometer la seguridad ocular.

El perfil consumidor Y2K

Para comprender mejor a los consumidores potencialmente interesados en este tipo de monturas, es importante considerar algunas de las características que definen a este segmento:

• Búsqueda de identidad visual: utilizan los lentes como un accesorio central en la construcción de su imagen.

• Alta exposición digital: descubren productos en TikTok, Instagram o a través de referentes culturales.

• Ritmo de consumo acelerado: esperan colecciones dinámicas y actualizaciones frecuentes en el catálogo de la óptica.

• Sensibilidad al storytelling: valoran marcas y espacios que les hablen de pertenencia cultural, no sólo de funcionalidad óptica.

Equilibrar moda y salud visual

El reto para los ópticos y profesionales de la visión no consiste únicamente en incorporar monturas de estética Y2K a sus vitrinas, sino en hacerlo de manera estratégica, asegurando que cada propuesta combine innovación en diseño con los más altos estándares en salud visual.

El primer paso es realizar una selección consciente del inventario. No se trata solo de incluir modelos llamativos, sino de garantizar que provengan de marcas que ofrezcan calidad óptica comprobada y montajes seguros.

A ello, se suma la importancia de una asesoría profesional personalizada. El óptico u asesor, debe orientar al usuario sobre cómo este tipo de monturas interactúa con sus necesidades visuales específicas. Esta guía técnica se convierte en un valor agregado que diferencia a la óptica frente a la competencia.

Otro aspecto clave es la creación de espacios de experiencia dentro de la óptica. Integrar estas colecciones futuristas en un entorno aspiracional permite que su negocio sea percibido, no solo como un punto de venta, sino como un verdadero espacio de descubrimiento de tendencias.

Finalmente, aprovechar el interés que despierta el diseño Y2K para reforzar la educación en salud visual. Informar al paciente sobre los riesgos de utilizar productos de imitación o lentes sin la debida certificación es una manera de transformar la moda en una oportunidad de concientización, fortaleciendo la confianza en la práctica profesional.

En conclusión, el regreso de los lentes futuristas Y2K demuestra cómo la moda influye directamente en la práctica óptica. Para el profesional de la salud visual en Latinoamérica, este fenómeno abre la posibilidad de acercarse a nuevas generaciones con un discurso que combina vanguardia y rigor técnico. Así, la óptica deja de ser únicamente un espacio clínico o comercial para convertirse en un laboratorio de tendencias responsables, donde la estética Y2K no solo se observa como moda pasajera, sino como una oportunidad de innovación y fidelización de clientes.

#HASHTAG:

Armonía y prisma: balance entre color y diseño

Por Yiwu Importaciones S.A de C.V

Esta colección fusiona la pureza del metal con acentos de color vibrante. Diseños ligeros, modernos y elegantes que equilibran fuerza y delicadeza, pensados para quienes buscan estilo con personalidad.

HS5230

Diseñados para destacar con elegancia y un estilo moderno, estas piezas combinan la ligereza del metal con un toque contemporáneo y lleno de personalidad. Este armazón cat-eye en tono dorado realza la mirada, mientras que los detalles en magenta y verde esmeralda aportan originalidad.

HS5220

Un diseño sofisticado que combina la ligereza del metal dorado con un vibrante detalle en verde que aporta energía y distinción. Su forma sutilmente geométrica realza la mirada, logrando un balance perfecto entre modernidad y elegancia atemporal.

HS5214

Modernos, ligeros y llenos de personalidad, estos modelos están diseñados para proyectar seguridad y estilo en cada mirada. Con una estructura metálica ultrafina en tono dorado, su diseño es sutil con un efecto geométrico rectangular en naranja brillante que lo hace un modelo sofisticado.

Maxim Paris:

cuando el diseño se convierte en comodidad

Por Lucy’s Optical

Maxim Paris combina moda y funcionalidad en diseños pensados para toda la familia. Con modelos modernos, ligeros y resistentes, esta línea sigue las tendencias internacionales sin comprometer la calidad ni la comodidad, convirtiéndose en la elección perfecta para quienes desean verse bien y cuidar su visión sin renunciar al estilo.

Maxim 8169 c1 black

Armazón versátil de líneas rectas y modernas con acabado atemporal. Su forma rectangular estiliza el rostro y proyecta un estilo seguro y sofisticado, ideal tanto para looks profesionales como casuales. Fabricado en material ligero, garantiza un ajuste cómodo y se convierte en el aliado perfecto para quienes buscan practicidad sin renunciar al estilo.

Maxim 11176 c2 s.D.Gun

Diseño metálico estilo aviador en tono gunmetal, ligero y resistente para máxima comodidad. Su diseño atemporal con toque moderno lo hace versátil y elegante, ideal tanto para entornos profesionales como casuales.

Maxim 11141 C1 S.gold

Diseño metálico en dorado con varillas de acetato que aportan un contraste moderno. Su diseño delicado realza la elegancia femenina, ilumina la mirada y ofrece comodidad, convirtiéndolo en una pieza clave para cada momento con estilo y confianza.

El diseño de lente s con el mejor desempeño en el portafolio de Lentes

Progresivos KODAK

El Lente KODAK Unique Infinite incorpora dos tecnologías innovadoras:

Vision First Infinite™ y Dynamic Viewing Stabilization™.

Ve las infinitas posibilidades de la vida

Cada día estamos expuestos a millones de estímulos visuales¹, ya sea del entorno, de las personas o de nuestros dispositivos digitales. Para nuestros ojos, puede ser difícil priorizar las imágenes que necesitamos ver con el detalle adecuado. El Lente KODAK Unique Infinite fue creado para ayudar a superar estas interferencias visuales y ver con mayor claridad lo que es importante, permitiendo al usuario disfrutar de todas las experiencias de la vida con comodidad.

KODAK Unique Infinite Lens

Lentes KODAK Unique Infinite

Ve las infinitas posibilidades de la vida

Ve las infinitas posibilidades de la vida

El diseño de lente s con el mejor desempeño en el portafolio de Lentes Progresivos KODAK

El Lente KODAK Unique Infinite incorpora dos tecnologías innovadoras: Vision First Infinite™ y Dynamic Viewing Stabilization™.

Cada día estamos expuestos a millones de estímulos visuales¹, ya sea del entorno, de las personas o de nuestros dispositivos digitales. Para nuestros ojos, puede ser difícil priorizar las imágenes que necesitamos ver con el detalle adecuado. El Lente KODAK Unique Infinite fue creado para ayudar a superar estas interferencias visuales y ver con mayor claridad lo que es importante, permitiendo al usuario disfrutar de todas las experiencias de la vida con comodidad.

Vision First Infinite™

Dynamic Viewing Stabilization™ (DVS)

Mejora el rendimiento visual y aumenta la comodidad en situaciones de visión dinámica al enfocarse específicamente en las variaciones de potencia media en las zonas periféricas del lente.

Vision First Infinite™

Acelera el proceso de diseño de lentes mediante algoritmos genéticos y redes neuronales. Este enfoque impulsado por computadora permite repetir de manera eficiente las diferentes combinaciones de parámetros. Se puede probar una gran cantidad de posibles diseños de lentes progresivos para cumplir con el objetivo de mejorar el rendimiento con pocas concesiones.

Acelera el proceso de diseño de lentes mediante algoritmos genéticos y redes neuronales. Este enfoque impulsado por computadora permite repetir de manera eficiente las diferentes combinaciones de parámetros. Se puede probar una gran cantidad de posibles diseños de lentes progresivos para cumplir con el objetivo de mejorar el rendimiento con pocas concesiones.

BENEFICIOS:

BENEFICIOS:

Dynamic Viewing Stabilization™ (DVS)

Mejora el rendimiento visual y aumenta la comodidad en situaciones de visión dinámica al enfocarse específicamente en las variaciones de potencia media en las zonas periféricas del lente.

CLAIMS:

Aumenta la zona intermedia sin comprometer las zonas de visión de lejos y cerca.

Aumenta la zona intermedia sin comprometer las zonas de visión de lejos y cerca.

CLAIMS:

Reduce la distorsión periférica, mejorando la visión general del usuario.

Reduce la distorsión periférica, mejorando la visión general del usuario.

Minimiza las molestias al cambiar entre las zonas de visión.

Minimiza las molestias al cambiar entre las zonas de visión.

Mejora del 16% en el ancho mínimo de la zona intermedia².

Reducción de hasta el 33% en el rebote promedio total³.

Mejora del 16% en el ancho mínimo de la zona intermedia². Reducción de hasta el 33% en el rebote promedio total³. Aumento del 17% en la satisfacción de la visión intermedia4. Incremento del 14% en la satisfacción de la visión dinámica.5.

Aumento del 17% en la satisfacción de la visión intermedia4.

Incremento del 14% en la satisfacción de la visión dinámica.5.

YA DISPONIBLE

KODAK Unique Infinite LensesLente Progresivo Estándar
KODAK Unique Infinite LensesLente Progresivo Estándar

El mejor desempeño del Lente KODAK Unique Infinite se basa en dos nuevas tecnologías:

Vision First Infinite™

Tecnología de diseño progresivo de última generación

Nuestros diseñadores de lentes enfrentaron el reto de crear un nuevo diseño de lente progresivo que mejorara el área de visión intermedia sin comprometer la visión de lejos o de cerca. Para cumplir con este desafío, desarrollaron Vision First Infinite™, una plataforma de diseño que acelera el proceso de desarrollo mediante algoritmos genéticos y redes neuronales. Este enfoque impulsado por computadora repite eficientemente las diferentes combinaciones de parámetros. El resultado es un sistema que puede probar múltiples opciones de diseño de lentes en meses, en lugar de años.

Características de Vision First Infinite™:

Acelera el proceso de diseño de lentes utilizando algoritmos genéticos y redes neuronales.

Explora de manera eficiente parámetros de diseño específicos para crear diseños de lentes mejorados.

Se analizaron y descartaron grandes volúmenes de datos y una amplia variedad de diseños hasta que nuestros ingenieros de lentes refinaron los criterios de selección para crear el Lente KODAK Unique Infinite™.”

Se analizaron y descartaron grandes volúmenes de datos y una amplia variedad de diseños hasta que nuestros ingenieros de lentes refinaron los criterios de selección para crear el Lente KODAK Unique Infinite™.”

Cada uno de los 60 parámetros de diseño utilizados para definir una superficie progresiva puede tener hasta 20 valores adecuados que son determinados y probados por nuestros diseñadores. Con Vision First Infinite, se puede probar una cantidad exponencial de posibles diseños de lentes progresivos para lograr el objetivo de mejorar el rendimiento con mínimas concesiones.

Cada uno de los 60 parámetros de diseño utilizados para definir una superficie progresiva puede tener hasta 20 valores adecuados que son determinados y probados por nuestros diseñadores. Con Vision First Infinite, se puede probar una cantidad exponencial de posibles diseños de lentes progresivos para lograr el objetivo de mejorar el rendimiento con mínimas concesiones.

Al aumentar la zona intermedia efectiva sin comprometer ni la zona de visión de lejos ni la de visión cercana, el usuario tendrá una experiencia de visualización más agradable.

Al aumentar la zona intermedia efectiva sin comprometer ni la zona de visión de lejos ni la de visión cercana, el usuario tendrá una experiencia de visualización más agradable.

Mejora del 16% en el ancho mínimo de la zona intermedia, manteniendo una amplia zona de lectura.³
Mejora del 16% en el ancho mínimo de la zona intermedia, manteniendo una amplia zona de lectura.³

Reduce la distorsión en las zonas periféricas del lente y aumenta la comodidad del usuario al disminuir el “efecto de balanceo”.

Dynamic Viewing Stabilization™

Nuestras vidas diarias están llenas de situaciones en las que nos enfocamos en tareas a diversas distancias mientras estamos atentos a las actividades en nuestra visión periférica. Dynamic Viewing Stabilization™ mejora el rendimiento visual y aumenta la comodidad en estas situaciones de visión dinámica.

Lentes KODAK Unique Infinite

El diseño de lentes con el mejor rendimiento del portafolio de Lentes Progresivos KODAK

*vs. Lente KODAK Unique DRO

La potencia media representa tanto la potencia promedio como las variaciones de potencia a lo largo del lente. Demasiada variación en la potencia media del lente provoca ondulaciones no deseadas en las zonas periféricas, lo que contribuye a lo que comúnmente se describe como el “efecto de balanceo”. Una distribución suave de la potencia media se introdujo por primera vez en los diseños progresivos de lentes KODAK mediante la tecnología Vision First Design™.

Dynamic Viewing Stabilization™ se basa en el principio de Vision First Design™ al enfocarse específicamente en las variaciones de potencia media en las zonas periféricas del lente. La variación de la potencia media en las zonas periféricas se denomina rebote medio. Al concentrarse en el rebote medio para reducir la variación de potencia, los usuarios experimentan una mayor estabilidad al ver el entorno mientras están en movimiento.

El diseño exclusivo del Lente KODAK Unique Infinite también incluye: Dynamic Reading Optimization (DRO): Enriquece y mejora la zona de lectura.

i-Sync: Reduce la aberración fuera del eje.

Comparación de la altura del rebote

Comparación de la altura promedio del rebote

Al reducir el rebote medio en el Lente KODAK Unique Infinite™, los usuarios experimentan menos perturbaciones visuales.

KODAK Unique Infinite Lens Standard Progressive Lens
Reducción del 33%
KODAK Unique DRO Lens POTENCIA MEDIA
KODAK Unique Infinite Lens POTENCIA MEDIA

El contactólogo especializado, un arquitecto de soluciones visuales

La contactología especializada representa, en realidad, el arte y la ciencia de la personalización en la corrección visual. Cada paciente es un universo único, y el contactólogo, mediante una combinación de rigor científico y sensibilidad ante la complejidad y los retos de muchos de los casos, logra adaptar soluciones que van más allá de la simple prescripción: transforma necesidades individuales en experiencias que realmente mejoran vidas. Así, la verdadera excelencia en este campo no reside solo en el dominio técnico, sino en la capacidad de personalizar cada lente, cada ajuste y cada seguimiento, otorgando al paciente una visión que se integra perfectamente con su vida y sus necesidades.

En el dinámico universo de la salud visual, la contactología ha dejado de ser una especialidad discreta para convertirse en un pilar clínico de alta precisión. Hoy, más que nunca, hablar de lentes de contacto implica abordar temas de tecnología, personalización y estrategia terapéutica. La evolución del mercado, con opciones que van desde lentes esclerales para córneas irregulares, hasta diseños avanzados para ortoqueratología, y las múltiples alternativas que hay para la presbicia y el astigmatismo, ha transformado al contactólogo en un arquitecto de soluciones visuales.

Esta expansión no solo exige conocimiento técnico, sino también sensibilidad clínica y visión interdisciplinaria. Adaptar un lente ya no es simplemente ajustar parámetros: es interpretar la historia ocular del paciente, anticipar su entorno visual y ofrecerle una experiencia de corrección que respete su fisiología y estilo de vida.

La contactología moderna es, en esencia, una especialidad dentro de sí misma. Requiere formación continua, diálogo entre colegas, y una mirada a no tener miedo al riesgo ante la posibilidad

de mejorar la calidad de vida de un ser humano.

En esta edición de la Revista 20/20, rendimos un sentido homenaje a todos los colegas que, con pasión y compromiso, se dedican a la contactología especializada. Además, queremos inspirar y motivar a las nuevas generaciones de profesionales para que se sumen a este campo dinámico y transformador, llevando la excelencia y la innovación a cada consulta y a cada historia visual de sus pacientes.

Invitamos a todos los profesionales de la salud visual a considerar a la contactología como un área importante en su práctica diaria. Abrir la mente a nuevas alternativas no solo aporta valor a los pacientes, sino que también puede potenciar el crecimiento profesional y empresarial. Además, aprender de la experiencia y los casos clínicos compartidos por colegas enriquece la visión y fortalece el criterio clínico, permitiendo una atención más integral y personalizada. Finalmente, la rigurosidad en la evaluación de cada paciente debe ser la piedra angular de nuestro ejercicio, garantizando así resultados óptimos y sostenibles en el tiempo.

A quienes ejercen esta disciplina con rigor y empatía, les decimos: su trabajo no solo corrige la visión, también redefine lo que significa ser un profesional de excelencia que realmente mira con un propósito.

Con gratitud y admiración,

Patricia E. García A. OD. Ms.As Editora Clínica Revista 20/20

Por

Por

Adaptación de lentes esclerales en paciente pediátrico con síndrome de Joubert y ulceraciones corneales

recurrentes

Resumen

Objetivo: presentar el abordaje interdisciplinario y los resultados clínicos obtenidos en un paciente pediátrico con síndrome de Joubert y ulceraciones corneales recurrentes, tratado mediante la adaptación de lentes esclerales de última generación.

Método: caso clínico descriptivo de un niño de 8 años con antecedentes de úlceras corneales profundas bilaterales y leucomas paracentrales, secundarias a disminución refleja del parpadeo por compromiso neurológico. El manejo incluyó terapéutica antimicrobiana tópica, suero autólogo, insulina tópica y finalmente adaptación de lentes esclerales personalizados con tratamiento de superficie.

Resultados: se observó resolución de las ulceraciones recurrentes, desaparición del ojo rojo, reducción de la neovascularización corneal y esta-

bilidad epitelial sostenida. El uso de lentes esclerales permitió rehabilitación visual funcional, evitando la indicación de trasplante corneal.

Conclusión: los lentes esclerales representan una alternativa terapéutica segura y eficaz en pacientes pediátricos con alteraciones neurológicas que predisponen a daño corneal recurrente, contribuyendo tanto a la protección epitelial como a la mejora de la calidad visual. Palabras clave: síndrome de Joubert, lentes esclerales, úlceras corneales recurrentes, leucoma corneal, superficie ocular, pediatría.

Introducción

El síndrome de Joubert (SJ) es un desorden neurológico raro caracterizado por hipoplasia del vermis cerebeloso y anomalías en tronco encefálico, lo que ocasiona ataxia, movimientos oculares

Caso clínico

anormales y alteraciones respiratorias. Entre las complicaciones oftalmológicas destacan el nistagmo, estrabismo y, en algunos casos, disminución del reflejo de parpadeo, predisponiendo a queratopatía de exposición y ulceraciones recurrentes.

Los lentes esclerales, al generar un reservorio de solución salina entre el dispositivo y la córnea, proporcionan un microambiente estable, previenen la desecación epitelial y mejoran la oxigenación periférica, lo cual los convierte en una opción eficaz en patologías de superficie ocular refractarias al tratamiento convencional (Schornack et al., 2014; Barnett & Lien, 2020).

Presentación del caso

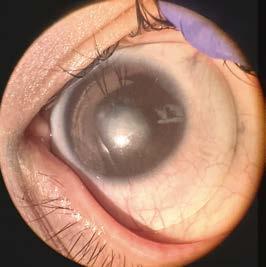
Niño de 8 años diagnosticado con síndrome de Joubert, remitido por ulceraciones corneales recurrentes bilaterales. Antecedentes de dos episodios de úlceras corneales profundas con cicatrización que generaron leucomas paracentrales (Foto:1).

Al examen inicial:

• Ojo rojo bilateral persistente.

• Superficie corneal con neovascularización superficial.

• Disminución marcada del reflejo de parpadeo.

• Alteraciones en la estabilidad lagrimal con NITBUT reducido (<5 s).

• Tinción positiva con verde lisamina (++ en área interpalpebral).

El manejo

previo incluyó:

• Ciprofloxacino tópico libre de preservantes en múltiples oportunidades.

• Suero autólogo al 20% en ciclos de tratamiento.

• Insulina tópica en fases de epitelización.

• Seguimiento interdisciplinario con corneólogo y neuropediatra.

LENTES DE SOL PARA EL CAMINO Y MÁS

Los lentes de sol Transitions® Drivewear® mejoran tu visión en la carretera y enriquecen tu experiencia del mundo al aire libre, desde el anochecer hasta el amanecer, en cualquier clima.

Dada la recurrencia de las ulceraciones, se decidió la adaptación de lentes de apoyo escleral personalizados (diámetro 17.5 mm) con diseño free-form y recubrimiento hidrofílico de plasma + Tangible® Hydra-PEG® para mejorar la humectabilidad y reducir depósitos (Foto: 2-3).

Evolución clínica

• A la primera semana: resolución del ojo rojo y desaparición de sintomatología irritativa.

• Al primer mes: epitelización completa sin recurrencia de defectos corneales.

• A los tres meses: regresión parcial de la neovascularización, transparencia corneal periférica conservada.

• Mejoría funcional: fijación estable y rehabilitación visual con aumento de agudeza visual (sin llegar a visión normal por leucomas preexistentes).

Discusión

El caso resalta la utilidad de los lentes esclerales en población pediátrica con alteraciones neurológicas, donde la disminución del parpadeo y la inestabilidad lagrimal predisponen a daño corneal severo. La literatura respalda el uso de lentes esclerales en queratopatía neurotrófica, exposición ocular y úlceras recurrentes (Romero-Rangel et al., 2000; Walker et al., 2020).

En este paciente, los lentes actuaron como una barrera protectora mecánica, manteniendo una super-

ficie ocular constantemente lubricada, lo que permitió:

1. Prevenir nuevas ulceraciones.

2. Reducir la neovascularización corneal.

3. Evitar la progresión hacia trasplante corneal, altamente riesgoso en pediatría con neuropatías.

El uso de tratamientos de superficie avanzados (plasma + Tangible® Hydra-PEG®) optimizó la biocompatibilidad y facilitó la adherencia en un paciente pediátrico, donde el riesgo de depósitos lipídicos y mucínicos suele ser elevado (Foto:4-5).

Conclusión

La adaptación de lentes esclerales de última tecnología constituye una herramienta terapéutica eficaz en el manejo de pacientes pediátricos con síndrome de Joubert y ulceraciones corneales recurrentes. Este abordaje interdisciplinario permitió preservar la integridad corneal, mejorar la calidad visual y prevenir procedimientos quirúrgicos mayores como el trasplante corneal.

Referencias

4. Schornack MM, Baratz KH, Patel SV, Maguire LJ. Jupiter scleral lenses in the management of chronic graft-versus-host disease. Eye Contact Lens. 2014;40(6):302-305.

5. Barnett M, Lien V. Contemporary Applications of Scleral Lenses. Eye Contact Lens 2020;46(6):333-340.

6. Romero-Rangel T, Stavrou P, Cotter J, Rosenthal P, Baltatzis S, Foster CS. Gas-permeable scleral contact lens therapy in ocular surface disease. Am J Ophthalmol. 2000;130(1):25-32.

7. Walker MK, Bergmanson J, Miller WL, Marsack JD. Complications and fitting challenges associated with scleral contact lenses: A review. Cont Lens Anterior Eye. 2020;43(4):415-425.

Licenciada en Optometría y pasante de la Especialidad en Lentes de Contacto

Evaluación integral en ortoqueratología: claves para una adaptación exitosa

La adaptación de lentes para ortoqueratología exige una evaluación integral que va más allá de la refracción. Cada candidato representa una combinación única de factores clínicos, ópticos y humanos que deben ser cuidadosamente considerados para garantizar no solo la eficacia del tratamiento, sino también la seguridad, la tolerancia y el compromiso a largo plazo. Desde la biomecánica corneal hasta la dinámica pupilar, pasando por la historia refractiva y hábitos familiares, cada elemento influye en el éxito de esta modalidad.

Introducción a la ortoqueratología

La ortoqueratología es comúnmente conocida como Orto-K y consiste en la adaptación de lentes de contacto especializadas, diseñadas para ser utilizadas durante la noche mientras el paciente duerme. (1) Estas lentes ejercen una presión suave y controlada sobre la córnea, con el fin de remodelar temporalmente su curvatura. El propósito de este proceso es permitir una visión clara y nítida durante el día, en un principio puede requerir complementarse con usar gafas o lentes de contacto convencionales, posteriormente es posible que desaparezca esta necesidad.

Ingresa aquí para ver el artículo completo

Sus orígenes se remontan a la década de 1960, cuando se presentaron las primeras ideas para modificar la forma corneal con lentes de contacto. Sin embargo, el tratamiento ha experimentado una notable evolución y ha ganado una gran popularidad en las últimas dos décadas, impulsado por los avances en materiales de alta permeabilidad al gas y por el desarrollo de diseños de geometría inversa, que permiten una aplicación más segura y eficaz.

La propuesta de valor central de la ortoqueratología radica en su capacidad para ofrecer libertad visual diurna. (1) Esta característica es especialmente valiosa para individuos con estilos de vida activos, deportistas o profesionales que requieren una agudeza visual sin ayudas ópticas. (1) Un aspecto fundamental y distintivo del tratamiento es su completa reversibilidad. Si el uso de las lentes se suspende, la córnea recupera gradualmente su forma original, y el error refractivo retorna, (2) lo que a su vez permite la transición a otras formas de corrección visual o incluso posteriormente revisar la posibilidad de cirugía refractiva si la graduación se estabiliza.

Remodelación corneal

El funcionamiento de la ortoqueratología se basa en la flexibilidad natural de la córnea. El proceso de remodelación se logra mediante una lente de contacto rígida permeable al gas, con un diseño de curva o geometría inversa. Este diseño aplanado en su centro ejerce una presión hidrodinámica suave y controlada que redistribuye las células epiteliales de la superficie corneal. (3)

El impacto de este proceso a nivel histológico se limita a la capa superficial del ojo. La evidencia científica documenta un adelgazamiento del epitelio corneal en la zona central, con una reducción de entre 10 y 20 micras o del 7.3%, mientras que se produce un engrosamiento compensatorio en la región paracentral del 13%, por una acumulación de células epiteliales. Es de suma importancia destacar que este modelado no afecta las capas más profundas de la córnea, como la membrana de Bowman o el estroma. Esta característica subraya la naturaleza no invasiva y, por ende, la reversibilidad total del tratamiento.

Usos clínicos y criterios de selección

La ortoqueratología es utilizada para corregir la miopía, los diseños aprobados por la FDA tienen rangos de eficacia que abarcan desde -1.00 hasta -8.00 dioptrías, aunque el rango óptimo se encuentra entre -1.00 y -4.00 dioptrías. También, se ha demostrado su utilidad para el astigmatismo, con diseños también aprobados por la FDA y una corrección efectiva de hasta -1.75 dioptrías, (4) e incluso para la hipermetropía, con un rango de hasta 3.5 o 4 dioptrías, si bien la corrección de estos últimos defectos visuales puede ser más compleja. (5) Sin embargo, el profesional de la salud visual deberá implementar un buen criterio clínico para discernir qué pacientes pueden o no ser tratados bajo esta modalidad y evaluar los riesgos.

Perfiles de candidatos ideales

El éxito de la ortoqueratología depende en gran medida de la selección rigurosa del paciente. (6) Los candidatos ideales son quienes buscan una visión clara sin la restricción de las gafas, como los deportistas, pilotos o policías, aunque se les debe hacer conscientes sobre las expectativas reales a alcanzar en este tratamiento. (1) Asimismo, puede ser una solución para personas con ojo seco que no toleran las lentes de contacto blandas convencionales.

La ortoqueratología está contraindicada en pacientes con patologías inflamatorias del polo anterior del ojo,

como queratitis o conjuntivitis, que cursen con riesgo o infecciones activas, así como en aquellos con alteraciones estructurales de la córnea, como ectasias corneales primarias, úlceras, defectos o compromisos del epitelio corneal. La alta motivación y la disciplina del paciente son factores esenciales para garantizar la adherencia a los protocolos de uso e higiene, que son críticos para la seguridad del tratamiento. (6)

Evaluación y criterios clínicos

La adaptación exitosa de lentes Orto-K requiere una evaluación clínica minuciosa que va mucho más allá de la refracción, involucra los anexos oculares y evaluaciones del segmento anterior. En la medida de lo posible, se debe considerar en la historia clínica, el estado de la visión binocular, el diámetro pupilar, la topografía y biomecánica corneal, así como la longitud axial. (3) Es importante también involucrar activamente al paciente y a sus cuidadores asegurando una comunicación sobre expectativas, riesgos y beneficios.

Impacto en el control de la miopía

La miopía y sus opciones de gestión y/o de ralentización deben ser prioridad en nuestros consultorios, ya que el impacto negativo en el segmento posterior ocular puede ir desde la elongación de la longitud axial, adelgazamiento, riesgo de perforación, desgarro y/o desprendimiento retiniano, incluyendo otras estructuras oculares, comprometiendo así seriamente la salud visual e integridad ocular del paciente.

La ortoqueratología no solo ayuda a ver bien durante el día sin usar gafas, sino que también sirve para controlar el avance de la miopía, especialmente en niños y adolescentes. Estudios científicos respaldan la hipótesis de que la miopía progresiva está asociada con el desenfoque hipermetrópico periférico, una señal óptica que estimula el crecimiento axial del globo ocular. Las lentes Orto-K corrigen este problema al cambiar la forma de la córnea, ayudando a que la miopía avance más despacio. Esto es importante porque así se reduce el riesgo de problemas graves como adelgazamiento, riesgo de perforación, desgarro y/o desprendimiento retiniano, comprometiendo así seriamente la salud visual e integridad ocular del paciente.

La Orto-K se considera una opción idónea para niños (a partir de los 6 años) y adolescentes cuya miopía está en progresión. Estudios científicos han demostrado que el tratamiento con Orto-K puede reducir la progresión de la miopía entre un 40% y un 60%, con algunas investigaciones que sugieren tasas de hasta un 80%, cuando se utiliza de forma dual con otras intervenciones como las gotas de atropina en baja concentración. (7)

Este artículo fue publicado y traducido bajo los términos de la licencia de Creative Latin Media con Jobson Healthcare Information. Queda estrictamente prohibida su reproducción total o parcial.

Cómo poner una consulta especializada en lentes de contacto

Explorar vías de crecimiento

En una era de avances clínicos y expectativas crecientes, las lentes de contacto han pasado de ser una solución refractiva básica a convertirse en herramientas transformadoras para enfermedades corneales, rehabilitación visual y control de la miopía. La transición de una práctica general a una consulta especializada exige pasión, disciplina y voluntad de aprendizaje continuo.

Historias como la del Dr. Steven Sorkin, quien fortaleció su práctica mediante colaboración con especialistas en córnea, o la de la Dra. Lindsay Sicks, que consolidó su camino gracias a una residencia, muestra que no existe un único recorrido. Otros, como la Dra. Melanie Frogozo, evidencian que la reinvención es posible: tras una residencia y años de práctica, transformó su clínica en un centro donde el 85% de los ingresos provienen de lentes especiales.

El Dr. Clark Chang y el Dr. Langis Michaud coinciden en que la especialización no siempre se define desde el inicio; puede surgir conforme se detectan necesidades clínicas y se construye reputación con constancia y resultados.

Recursos profesionales clave

La formación continua es la piedra angular. Asociaciones como la American Academy of Optometry (AAO), la American Optometric Association (AOA) y la Scleral Lens Education Society ofrecen credenciales, seminarios web y mentorías. Congresos como el Global Specialty Lens Symposium y el International Congress of Scleral Contacts permiten actualizar conocimientos y fortalecer redes profesionales.

El Dr. Mile Brujic subraya que el crecimiento no termina tras la universidad: “El verdadero aprendizaje ocurre a lo largo de la carrera”. Ini-

ciativas como el Scleral Consultative Institute, cofundado por él, muestran cómo la educación entre colegas impulsa a profesionales de todos los niveles.

Además de cursos formales, los recursos autodidactas como manuales (Bennett, Weissman, Efron) y guías digitales (van der Worp, Barnett y Fadel) son herramientas de consulta indispensables.

Prepararse para el éxito

El montaje de una consulta especializada requiere una planificación estratégica: ajustar el flujo de pacientes, formar al personal, invertir en equipos diagnósticos y diseñar sistemas administrativos sólidos. Entre los equipos esenciales destacan el tomógrafo corneal, OCT de segmento anterior, perfilómetro y aberrometría, además de biómetros para control de miopía.

La capacitación del staff es igualmente crítica. La Dra. Frogozo, por ejemplo, entrena a su equipo para dominar desde inserción de lentes hasta interpretación de OCT, garantizando eficiencia y calidad. En cuanto a la facturación, enfatiza la documentación rigurosa bajo el esquema SOAP, recordando que “no es cuánto se factura, sino cuánto se conserva”

Crear reputación y red de referencias

La especialización no solo se construye en la sala de consulta, sino también en la comunidad. La Dra. Sicks recomienda combinar la comunicación directa con colegas con presencia activa en redes sociales y materiales educativos. Ejemplos como la Dra. Caitlin Morrison (@ eyesplain) muestran el impacto de educar digitalmente al público.

Recompensas y retos

Aunque la especialización conlleva demandas emocionales y altas expectativas, los beneficios clínicos y humanos son invaluables. El Dr. Sorkin resalta la satisfacción de ayudar a pacientes complejos y construir relaciones duraderas. Para el Dr. Michaud, las lentes especiales integran todas las áreas de la optometría, mientras que la Dra. Frogozo recuerda que los pacientes con enfermedades visuales crónicas requieren empatía y autocuidado del médico.

La epidemia de la miopía en México

La prevalencia de la miopía en la población mexicana ha crecido de forma exponencial, constituyendo un problema de salud pública de creciente magnitud. Datos de estudios recientes, indican una prevalencia de miopía que oscila entre 24.78% en la población general y hasta 44% en poblaciones de adolescentes de entre 12 y 13 años1

Esta alta prevalencia es un indicador de que México no es inmune a la crisis global de la miopía. El incremento en el número de casos de miopía patológica (> -6.00D) en jóvenes es particularmente preocupante, dado el mayor riesgo de complicaciones debilitantes como maculopatía, desprendimiento de retina y glaucoma de ángulo abierto 2

La miopía es el resultado de un alargamiento axial del globo ocular. La patogénesis actual se centra en la teoría del desenfoque periférico hipermetrópico 3. Mientras, que la corrección óptica convencional (lentes monofocales) proyecta la imagen foveal sobre la retina, induce un desenfoque hipermetrópico en la retina periférica, lo que se cree que estimula señales bioquímicas que promueven el crecimiento axial del ojo.

Este proceso de elongación axial, en lugar de corregir el desenfoque, lo perpetúa y conduce a la progresión de la miopía que es multifactorial, con una compleja interacción entre factores genéticos

Jaimes Velasco de Buyes Optical

y ambientales, aunque la exposición prolongada a la visión cercana también es crucial 4. Se ha observado que el tiempo dedicado a actividades en visión cercana está correlacionado con el desarrollo y la progresión de la miopía. La acomodación sostenida y la convergencia se han postulado como mediadores en la señalización del crecimiento axial del globo ocular. Por otro lado, el tiempo al aire libre actúa como factor protector, ya que la exposición a la luz solar, que estimula la liberación de dopamina en la retina, un potente inhibidor del crecimiento escleral 5

El manejo de la miopía ha evolucionado de la simple corrección a la implementación de estrategias de control de la progresión, con el objetivo de mitigar el riesgo de patologías oculares futuras.

Manejo farmacológico:

• Atropina a baja dosis: concentraciones como 0.01% han demostrado una eficacia significativa en la reducción de la progresión miópica. Su mecanismo de acción se relaciona con la modulación de los receptores muscarínicos de la esclera 6 .

Manejo óptico:

• Lentes de contacto de desenfoque periférico: utilizan la óptica para proyectar simultáneamente la imagen en la fóvea y generar un desenfoque miópico en la retina periférica, contrarrestando así la elongación axial 7

• Lentes oftálmicos con tecnología de desenfoque: nuevos diseños de lentes monofocales con microsegmentos han demostrado ser eficaces en la desaceleración del crecimiento axial 8

• Ortokeratología (Orto-K): este tratamiento, que consiste en el uso nocturno de lentes de contacto rígidos, induce un aplanamiento corneal central y una zona de desenfoque periférico miópico, ofreciendo una reducción efectiva de la progresión miópica 9

Modificación de comportamiento:

• Se debe promover la higiene visual y el aumento del tiempo al aire libre (mínimo 2 horas diarias) para aprovechar el efecto protector de la luz solar (5).

Al final del día, la miopía es más que una estadística; afecta la calidad de vida de nuestros pacientes y la forma en que ven el mundo. La historia no termina aquí, mientras los métodos actuales nos ofrecen soluciones maravillosas, la verdadera batalla contra este problema requiere una nueva visión. En el siguiente capítulo, exploraremos cómo la innovación tecnológica de Buyes Optical está a punto de redefinir el futuro del control de la miopía, ofreciendo una respuesta que va más allá de lo que hoy conocemos.

Referencias:

1. Ortiz-Luna, J. A., Hernández-Corzo, J., Mejía-Carlos, J. A., & Correa-Castro, J. E. (2022). Prevalencia de miopía, hipermetropía y astigmatismo en México: Una revisión sistemática. Salud y Sociedad, 13(1), 70–84.

2. Holden, B. A., Fricke, T. R., Wilson, D. A., Jong, M., Naidoo, K. S., Sankaridurg, P., Wong, T. Y., Naduvilath, T. J., & Resnikoff, S. (2016). (2)

3. Smith, E. L., Hung, L. F., & Arumugam, B. (2010). Visual regulation of refractive development: Insights from animal studies. Eye, 24(2), 179–188. (3)

4. Morgan, I. G., Ohno-Matsui, K., & Saw, S. M. (2012). Myopia. The Lancet, 379(9827), 1739–1748. https://doi.org/10.1016/S0140-6736(12)60272-4 (4)

5. Ashby, R., & Schaeffel, F. (2010). The effect of bright light on lens-induced myopia in chicks. Investigative Ophthalmology & Visual Science, 51(10), 5245–5253 (5)

6. Chia, A., Chua, W. H., Cheung, Y. B., Wong, W. L., Lingham, A., Fong, A., & Tan, D. (2012). Atropine for the treatment of childhood myopia: Safety and efficacy of 0.5%, 0.1%, and 0.01% doses (ATOM2 study). Ophthalmology, 119(2), 347–354. (6)

7. Walline, J. J., et al. (2013).Multifocal contact lens myopia control. Optometry and Vision Science, 90(11), 1207–1214. (7)

8. Sankaridurg, P., et al. (2019).Defocus Incorporated Multiple Segments (DIMS) spectacle lenses slow myopia progression: A 2-year randomized clinical trial. Ophthalmology, 126(4), 529–538.(8)

9. Cho, P., Tan, Q., & Cheung, S. W. (2005).

10. Retardation of myopia in Orthokeratology (ROMIO) study: A 2-year randomized clinical trial. Investigative Ophthalmology & Visual Science, 46(11), 3989–3997.(9)

Recomendaciones en el manejo de la miopía

Prof. Ricardo Pintor. L.Opt. FIACLE rpintor@ coopervision.com

La miopía como condición médica

La miopía o visión borrosa de lejos, ha surgido como una crisis de salud pública global en rápido crecimiento. Las proyecciones indican que para el año 2050, casi 5 mil millones de personas en todo el mundo se verán afectadas por este error refractivo. La asociaciones académicas y grupos profesionales de salud visual y ocular, establecen que la miopía no es solo un defecto refractivo, sino una condición médica progresiva con riesgo de complicaciones visuales graves como desprendimiento de retina, glaucoma, maculopatía miópica, entre otras. Los oftalmólogos y optometristas deben tratar la miopía como una enfermedad ocular crónica que requiere detección temprana, seguimiento y tratamiento activo, y, que idealmente, sea en conjunto de ambos profesionales de la salud.

Detección y seguimiento temprano

Se recomienda tamizaje visual anual desde una edad preescolar y el uso de biometría ocular (longitud axial) para evaluar progresión, no solo refracción. Los factores de riesgo incluyen antecedentes familiares, exceso de actividades cercanas y baja exposición a la luz natural. Por lo que es prioritario el poder integrar la refracción ciclopléjica y longitud axial como estándar en la práctica clínica son un ideal o best practice.

Se espera que la longitud axial aumente durante la infancia, ya sea en el contexto de la progresión de la miopía o incluso de una emetropización normal. La longitud axial, que es la distancia desde la parte frontal hasta la parte posterior del ojo, desempeña un papel crucial en la determinación de la gravedad de la miopía y sus riesgos asociados. A medida que aumenta la longitud axial, el riesgo de desarrollar complicaciones que amenacen la visión se incrementa significativamente, lo que la

convierte en un predictor clave del deterioro visual futuro en personas con miopía.

Prevención y hábitos saludables

Es aconsejable la exposición diaria a la luz natural (≥2 horas), reducción del tiempo en pantallas y tareas cercanas, y si bien la regla 20-20-20 (cada 20 minutos, mirar a 20 pies durante 20 segundos) se ha retratado últimamente de no presentar un total fundamento científico, queda claro que es una recomendación práctica, saludable y fácil de implementar, pero no significa que es un tratamiento para controlar la miopía. Educar a padres y maestros sobre el rol del ambiente y los hábitos en la progresión son una prioridad en nuestras conversaciones.

Opciones terapéuticas validadas

La Sociedad Mundial de Oftalmología Pediátrica y Estrabismo en el consenso del manejo de la miopía 2025 respalda:

Atropina en baja concentración (0.01–0.05%)

La falta de un beneficio visual inmediato puede reducir la motivación y la adherencia al tratamiento, a pesar de su bajo perfil de efectos secundarios (0,01%). Sin un refuerzo diario de la mejoría visual, los niños y sus padres podrían perder la prioridad en su uso con el tiempo.

Ortoqueratología (Orto-K)

Permite liberarse por completo de gafas o lentes de contacto durante el día, ofreciendo comodidad y una visión nítida sin interferencias en las activi-

dades diarias. Estas opciones también tienden a proporcionar una visión más estable en todas las direcciones de la mirada, lo que favorece su uso constante. Además, los niños suelen manifestar una mayor satisfacción con su apariencia y participación en deportes o actividades sociales cuando usan lentes de contacto, lo que refuerza la motivación para el uso regular.

Anteojos de desenfoque periférico o regulación al contraste

Los lentes oftálmicos siguen siendo una excelente opción para los niños que no pueden o no desean usar lentes de contacto, pero los profesionales deben asesorar a las familias sobre la importancia de usarlas a tiempo completo. Una creencia cultural común, especialmente en algunas poblaciones asiáticas, es que quitarse las gafas durante las tareas de cerca puede ayudar a “relajar la vista” o retrasar la miopía, lo que lleva a los padres a fomentar el uso a tiempo parcial. Sin embargo, esta práctica socava la eficacia del tratamiento en los diseños de gafas para el control de la miopía, que requieren un uso constante a lo largo del día. La incomodidad, las preocupaciones estéticas y los mitos sobre la excesiva dependencia de las gafas también pueden contribuir a un uso inconsistente.

Lentes de contacto blandos para control de miopía, de desenfoque periférico (MiSight® 1 day)

El cumplimiento del uso de lentes de contacto puede mejorarse gracias a una combinación de factores prácticos y perceptivos. Los lentes de contacto desechables diarios son higiénicos, requieren poco mantenimiento y son fáciles de manipular para los niños, eliminando las barreras de las rutinas de limpieza o las molestias asociadas con los materiales más antiguos.

Los lentes MiSight® 1 day utilizan la tecnología ActivControl®, un diseño óptico creado específicamente para corregir la visión y para ayudar a ralentizar la progresión de la miopía en niños con edad apropiada al iniciar el tratamiento.

Es el primer y único lente de contacto aprobado por la FDA de EE. UU. y la NMPA de China, para ralentizar la progresión de la miopía en niños de 8 a 12 años al iniciar el tratamiento.

El estudio clínico internacional de 7 años de MiSight® 1 day es el estudio continuo más largo con lentes de contacto blandos para el control de la miopía.

Al hablar con las familias sobre las estrategias para el control de la miopía, la eficacia no debe ser el único factor para considerar.

El éxito a largo plazo depende de si el niño realmente usa el tratamiento según lo prescrito. Los lentes de contacto blandas desechables diarias y la ortoqueratología tienden a favorecer un mayor cumplimiento, una mejor calidad de visión en la vida diaria y en la vida relacionada con la visión en comparación con las gafas. Estos factores las convierten en opciones de primera línea para muchos niños, particularmente, para aquellos activos que se sienten cohibidos al usar gafas o que practican deportes.

Selecciona un tratamiento según la edad, progresión y perfil del paciente; considerar monoterapia o terapia combinada en casos de rápida progresión, son fundamentales en la práctica clínica de los profesionales de salud.

Rol del profesional de la visión

Los profesionales deben educar a las familias, monitorear la progresión anual con métricas objetivas y referir a subespecialistas en casos de alta miopía o patología asociada. Implementar protocolos de seguimiento cada 6–12 meses y registros longitudinales.

Conclusión clínica

La miopía infantil es prevenible y controlable si se aborda con una estrategia integral que combine:

1. Detección temprana

2. Modificación de hábitos ambientales

3. Terapias farmacológicas y ópticas validadas

4. Educación a familias y escuelas

De esta manera, se busca reducir el impacto de la epidemia global de miopía y sus consecuencias en la salud visual futura.

Referencias:

1. Bullimore MA, Ritchey ER, Shah S, Leveziel N, Bourne RRA, Flitcroft DI. The Risks and Benefits of Myopia Control. Ophthalmology. 2021 Nov;128(11):1561-1579

2. Chamberlain, P, et al. Eye growth and myopia progression following cessation of myopia control therapy with a dual-focus soft contact lens. Optom and Vis Sci. 2025 Mar 25

3. Chamberlain P, Arumugam B, et al. Myopia progression on cessation of Dual-Focus contact lens wear: MiSight 1 day 7 year findings. Optom Vis Sci 2021;98:E-abstract

4. https://wspos.org/myopia-consensus-statement-2025/

Tres claves para rentabilizar las lentes de contacto

Este artículo fue publicado y traducido bajo los términos de la licencia de Creative Latin Media con Jobson Healthcare Information. Queda estrictamente prohibida su reproducción total o parcial.

El sector de las lentes de contacto en las consultas independientes puede ser complejo, ya que compiten con los minoristas en línea y necesitan encontrar maneras de evitar que los pacientes abandonen sus lentes. A continuación, lo que ha funcionado para tres colaboradores de ROB que mantienen a los pacientes satisfechos y aumentan las ventas.

Los pacientes con presbicia están ansiosos por encontrar soluciones. Muchos, también, están motivados para seguir usando lentes de contacto, otros nunca han tenido gafas y no desean usarlas. Para la mayoría, las lentes de contacto multifocales podrían controlar la presbicia y mi práctica brinda esa atención.

Un subgrupo de pacientes que vale la pena

Mi consultorio lleva tres años, así que seguimos ampliando nuestros pacientes, incluyendo a los présbitas. Supongamos que ofreces un nuevo lente de contacto multifocal a dos pacientes por semana y cobras $150 por una evaluación. La rentabilidad de cada uno puede oscilar entre $30 y $50 por caja.

Entonces, si un consultorio consigue lentes multifocales para dos pacientes nuevos por semana y, pide, incluso, un su-

ministro de seis meses de lentes, esa sería una tarifa de adaptación de $150 por persona, más una ganancia de $80 por dicho suministro dando un total de $460/semana brutos que el dueño del consultorio podría haber perdido si simplemente no ofrecía las lentes.

La ganancia de $80 por seis meses se debe a que un suministro anual (12 meses, es decir, 4 cajas) genera una ganancia de $140 (dependiendo del costo de los bienes vendidos y del precio establecido). Por lo tanto, con solo seis meses (2 cajas), es la mitad de esa cantidad y logra esa ganancia de $80. Ahora supongamos que pudieran hacer eso con un paciente al día y que trabajara 263 días hábiles al año ($230 x 263 días= $60,490). Esa cifra sería aún mayor para un lente multifocal diario.

Potencial en pacientes con lentes multifocales tóricas

La mayoría de las principales compañías de lentes de contacto tienen sus propios lentes multifocales. CooperVision y Bausch+Lomb también ofrecen lentes multifocales tóricas mensuales y es donde existe el mayor potencial de crecimiento. Un estudio reciente de DeNovo Research Solutions sugiere que hasta el 92% de los pacientes con astigmatismo y presbicia estarían dispuestos a comprar una lente multifocal tórica si se lo recomendara su oftalmólogo mientras que el 91% tienen una mejor impresión de su lente de contacto después de haberlo probado. Personalmente, he observado un gran entusiasmo de los pacientes al presentarles estos productos.

Por Matthew Ward, OD.

Ofrecer lentes de contacto multifocales

Dar la opción de lentes de contacto multifocales ha sido mi mejor estrategia de marketing. Sigo animando a los pacientes, incluso a aquellos que nunca pensaron en usar lentes de contacto, a adaptarse y comprarlos con éxito. Digamos que tenemos un paciente con presbicia tórica y, sé que puedo obtener sus parámetros con una lente de contacto, le pregunto si alguna vez ha considerado usar lentes de contacto, y si no muestra interés, sigo adelante, sin embargo, si hay indicio de interés, le coloco un lente de contacto para que experimente cómo podría ser su visión.

Gestionar las expectativas del paciente

Siempre tendrán una visión más nítida y uniforme con sus gafas, y podemos lograr mucho con el policarbonato o el trivex, así como con lentes antirreflejantes, bloqueadores de luz azul y otros tratamientos para lentes, algo que aún no podemos hacer con las lentes de contacto. Si ven al 100% con sus gafas, el obje-

tivo es alcanzar el 80% con las lentes de contacto multifocales. He descubierto que las tres cosas más difíciles para los pacientes con lentes de contacto multifocales son: restaurantes con poca luz, etiqueta de los envases y la letra pequeña de un libro. Todo lo demás debería estar bastante claro, desde la compra hasta la limpieza, pasando por la cocina y disfrutar de los fines de semana en familia, aunque, quizá, tengamos que ajustar un poco la prescripción, y eso es normal. Pero, también explico que la visión es simultánea, ya que las lentes de contacto de anillo concéntrico son diferentes a las lentes progresivas.

La sala de examen no toma mucho tiempo

Entiende que el paciente puede tener preguntas, y eso está bien. Siempre que siento que está tomando más tiempo del que me gustaría, recuerdo que le estamos ofreciendo algo nuevo. Los pacientes que usan lentes de contacto vienen con más frecuencia a los exámenes que los pacientes que solo usan anteojos. Siempre es genial que un nuevo paciente diga que a su amigo, cónyuge o hermano le adaptaron las lentes de contacto multifocales en nuestra oficina, ¡y ahora quiere probarlos!

Cuando los números dejaron de ser cifras y se convirtieron en estrategia

“Lo que no se mide no se controla y lo que no se controla no se puede mejorar y tiende a desaparecer”. Esta frase no es solo un recordatorio contundente, sino el fundamento de innumerables historias empresariales donde los números han sido decisivos para la supervivencia y el crecimiento.

En los negocios, al igual que en la vida, los números cuentan una historia. Sin embargo, la clave no reside en acumular cifras, sino en comprender qué significan, cómo interpretarlas y qué decisiones estratégicas tomar a partir de ellas.

Muchas empresas se limitan a recopilar datos de ventas, gastos o clientes, pero pocas logran transformar esa información en un verdadero motor de crecimiento. La diferencia crucial no es la cantidad de datos, sino la capacidad de saber qué medir, cómo hacerlo y qué acciones emprender con esa información.

Consideremos una compañía que, mes tras mes, celebra sus cifras de ventas e ingresos. A primera vista, podría parecer un negocio próspero. No obstante, detrás de esos resultados pueden ocultarse procesos ineficientes, la silenciosa partida de clientes y costos que aumentan sin control.

El error más común es confundir la mera posesión de cifras con tener un control efectivo. Las métricas básicas revelan resultados, pero no explican las causas de esos resultados ni la dirección futura que indican.

No todo lo que se mide importa… y no todo lo que importa se mide. Una de las claves fundamentales radica en la habilidad de diferenciar entre:

• Métricas: son los datos operativos que reflejan lo que sucede en el día a día del negocio.

• KPIs (Key Performance Indicators o Indicadores Clave de Desempeño): son métricas estratégicas que señalan si la empresa avanza en la dirección correcta hacia sus objetivos.

• KPOs (Key Performance Objectives u Objetivos Clave de Desempeño): representan las metas ambiciosas y estratégicas que alinean al negocio con su visión a largo plazo y su futuro.

El giro

estratégico:

de métricas a indicadores clave

El verdadero cambio transformador ocurre cuando una empresa logra hacer esta distinción y la aplica en su gestión. Por ejemplo:

Métrica El tiempo promedio de entrega de los trabajos es de 5 días.

Este dato describe una realidad.

KPI Establecer como objetivo táctico reducir el tiempo promedio de entrega a 3 días en un trimestre.

Esto convierte la métrica en un indicador medible de desempeño.

KPO: Definir como declaración estratégica “Ser la óptica y/o laboratorio oftálmico más rápido en la región”.

Esto alinea el KPI con una visión de futuro más amplia.

La diferencia entre estos conceptos, aunque sutil en su definición, es trascendental en la práctica: el negocio evoluciona de ser un mero observador de lo que sucede a convertirse en un director activo de lo que quiere que suceda.

El impacto transformador de medir lo que realmente importa

Las empresas que han adoptado esta visión estratégica no solo construyen tableros de control más completos, sino que obtienen beneficios significativos:

• Logran detectar patrones ocultos que antes pasaban desapercibidos, revelando oportunidades y riesgos.

• Consiguen priorizar acciones que generan un impacto real y medible en los clientes y en los resultados del negocio.

• Son capaces de traducir los datos en decisiones estratégicas de alto valor, más allá de la simple generación de reportes.

En definitiva, en estas compañías, los números dejaron de ser meras cifras para convertirse en estrategia. Medir lo correcto permite:

• Detectar oportunidades de crecimiento.

• Tomar decisiones basadas en datos y no en intuición.

• Priorizar recursos donde realmente generan impacto.

• Construir un negocio más rentable, sostenible y competitivo.

Del dato a la acción: la clave está en

la implementación

El verdadero valor de los indicadores no reside únicamente en los números, sino en la acción que estos impulsan. Una empresa que solo analiza métricas sin actuar es como un piloto que observa el tablero, pero nunca interactúa con los controles.

La diferencia radica en implementar estrategias claras y directas:

• Retención de clientes en descenso: ¿Qué programas de fidelización pueden activarse para revertir esta tendencia?

• CAC (Costo de Adquisición de Cliente) elevado: ¿Cómo se pueden optimizar las campañas digitales para reducirlo?

• Margen bruto disminuido: ¿Qué ajustes son necesarios en costos o precios para mejorar la rentabilidad?

El camino hacia la mejora continua

Medir, analizar, implementar y volver a medir. Ese es el ciclo que impulsa la mejora continua. Cada cifra es una señal que guía tus pasos hacia el crecimiento. Recuerde: no se trata de tener más datos, sino de tener los datos correctos y usarlos para transformar tu negocio.

En un mundo cada vez más competitivo, medir lo correcto no es una opción, es una necesidad. Los negocios que entienden esta diferencia construyen una ventaja sostenible: no se conforman con tener información, sino que la convierten en dirección, claridad y futuro.

Adoptar una cultura de medición consciente no es una tarea opcional; es una necesidad para cualquier negocio que quiera crecer y mantenerse vigente. Empieza hoy a identificar tus métricas, definir KPIs y conectar tus acciones con los KPOs. Porque lo que no se mide, se pierde. Y lo que se mide con propósito, se convierte en la clave de tu éxito.

¿Lentes solares son moda o son prescripción?

Durante mucho tiempo, los lentes solares se han visto principalmente como un accesorio de moda: un complemento que aporta estilo, personalidad y seguridad al vestir. Son un elemento que acompaña a celebridades, marcas de lujo y tendencias estacionales y, que incluso, puede realzar la confianza de quien los usa.

Sin embargo, limitar su función a lo estético sería un error. Los lentes solares son, ante todo, una herramienta de prescripción preventiva para la salud visual. Su función principal es bloquear la radiación ultravioleta (UV), responsable de daños acumulativos que pueden derivar en cataratas prematuras, degeneración macular, pterigión o incluso cáncer en párpados y zonas perioculares.

Además, reducen la fatiga visual producida por el deslumbramiento, lo que se traduce en mayor comodidad y seguridad, especialmente, al conducir o al realizar actividades al aire libre.

También, actúan como una barrera física contra el polvo, el viento o pequeños objetos, y contribuyen a prevenir la aparición temprana de arrugas en el contorno de los ojos, una de las áreas más sensibles al sol. Y cuando se requiere corrección visual, muchos modelos pueden graduarse, lo que permite disfrutar de visión nítida y protección en un solo accesorio.

¡Aquí les dejamos 5 consejos para elegir o recomendar los mejores lentes de sol para el usuario!

1. Asegúrate de que cuenten con 100% protección UV. Esta información es crucial para la salud ocular, se encuentra detallada en el certificado emitido por el fabricante.

2. Considera la actividad ya que esto te ayudará a seleccionar el color de la lente y la intensidad adecuada, que viene indicada por categorías del 0 al 4 en el certificado del fabricante. Además, recubrimientos como polarizados, fotocromático o antirreflejante pueden añadir gran valor a su funcionalidad dependiendo de sus necesidades.

3. Tipo de rostro: la forma del rostro influye en el estilo de armazón que favorecerá más al usuario, buscando un contraste armonioso.

4. Material del armazón: elegir un material que sea cómodo, duradero y resistente a las condiciones para las que se usarán los lentes (metal, acetato, propionato, etc.).

5. Ajuste y comodidad: probarse unos lentes antes de comprarles permite no solo saber cómo se ven puestos, también sirve para asegurar que se ajusten bien al rostro, no resbalen y no ejerzan presión excesiva en la nariz o las orejas.

Por lo tanto, más que elegir entre moda o prescripción, los lentes solares son ambas cosas a la vez una inversión en salud visual y, al mismo tiempo, un aliado estético que refleja estilo personal. Usarlos no es un lujo ni una simple tendencia: es una decisión inteligente que combina prevención, seguridad y elegancia.

Por Augen

La precisión detrás de una visión perfecta: medidas correctas en lentes progresivos digitales

Cuando se trata de lentes progresivos, cada detalle cuenta. A diferencia de un lente monofocal o bifocal, los progresivos concentran en un solo lente diferentes campos visuales: visión lejana, intermedia y cercana. Un ajuste inapropiado en las medidas puede traducirse en incomodidad, mareos, visión borrosa o incluso en el rechazo total del lente por parte del paciente.

En Vertex, entendemos que la calidad de un lente progresivo digital no depende solo de la tecnología con la que se fabrica, sino también de la precisión de las medidas que lo acompañan.

Armazón: la base de todo

La elección del armazón no es un simple tema estético. Para los progresivos digitales, el armazón determina:

• El espacio disponible para cada campo visual.

• La altura mínima de montaje.

• La relación entre la forma de la gafa y la geometría del lente.

Un armazón mal elegido puede limitar el desempeño de un diseño avanzado, mientras que uno correctamente seleccionado potencia la experiencia visual del paciente.

Alturas y distancias: cada milímetro importa

En progresivos, 1 mm puede ser la diferencia entre el éxito y el fracaso. Por ello, es imprescindible medir con exactitud:

• Altura pupilar: la distancia desde el borde inferior del armazón hasta el centro de la pupila.

• Distancia interpupilar (monocular): esencial para centrar correctamente cada lente.

• Distancia nasopupilar y vertex: que impactan directamente en la personalización digital.

En Vertex, utilizamos protocolos estandarizados y equipos de verificación para asegurar que cada dato sea confiable y repetible.

Lentes progresivos digitales: personalización al máximo

La tecnología digital nos permite ofrecer diseños personalizados, adaptados al estilo de vida del usuario. Gracias al tallado punto por punto, logramos:

• Campos visuales más amplios.

• Transiciones más suaves entre lejos, intermedio y cerca.

• Reducción de aberraciones y distorsiones.

Pero, incluso la mejor tecnología, pierde efectividad si las medidas no son correctas. Es la razón por la que en Vertex reforzamos el trabajo en conjunto con las ópticas y profesionales de la visión, capacitándolos en la toma de medidas avanzadas y validando la calidad en cada proceso de laboratorio.

Vertex: la diferencia está en los detalles

En Vertex hemos hecho de la precisión nuestro sello, con:

• Capacitación constante a nuestros clientes y aliados.

• Procesos internos de control de calidad en cada pedido.

• Tecnología de última generación para lentes progresivos digitales.

Además, hemos tenido gratas experiencias con clientes a quienes capacitamos -sin costo- junto con su personal de óptica, a través de nuestro Departamento de Servicios Profesionales, liderado por la L.O. Ericka Deciga, quien acude constantemente a impartir cursos y talleres especializados.

Con gusto podemos atender a cualquier cliente, sin importar si es grande o pequeño, porque para nosotros lo más importante

es que cada paciente final disfrute de la mejor visión posible. Nuestro objetivo es simple: que cada paciente disfrute de una visión clara, natural y sin esfuerzo.

Porque cuando se trata de progresivos, no existen los detalles pequeños: todo cuenta.

Vertex – Diseñamos la visión del futuro.

www.vertexlab.com.mx

Las normas y estándares en micas oftálmicas: garantía de calidad II

Por Visión Plus y M. en C. Luis Antonio Hernández Flores Importadora de Micas Oftálmicas / Profesor C.I.C.S. I.P.N.

La importancia de conocer las normas radica en que hoy día, debido a la globalización, existe una gran liberación comercial entre países, por lo que la utilización de productos importados es una constante, sin embargo, dichos productos deberán ajustarse a las normas vigentes de cada país por lo que México no es la excepción y se rige bajo sus propias normas (NOM).

Regularmente una norma, de cualquiera de los dos tipos de normas oficiales mexicanas, está vigente solo por cinco años. Por lo menos, un año antes, se indica en el Diario Oficial de la Federación si la norma entra en revisión para su sustitución, su cancelación o su refrendo por un período más de tiempo.

La nomenclatura FDA 21 CFR 801.410, perteneciente al Código Federal de Regulación de los Estados Unidos de América, corresponde al uso de lentes en gafas oftálmicas y solares, las cuales, bajo esta certificación, garantizan una protección adecuada al usuario final, siempre

bajo la supervisión de un experto en el cuidado de la salud visual.1

Las lentes oftálmicas de acuerdo con su composición se dividen en lentes orgánicas (polímeros) e inorgánicos (vidrio), en ambos casos, las características ópticas son similares, índice de refracción, curva base, absorción, transmitancia, reflexión, dispersión, entre otras características que se deben conocer para obtener el máximo beneficio para el usuario final y que, en algunos casos, estas características aparecen dentro de las NOM, además, de su respectiva tabla de rangos de tolerancia, como es el caso de la Norma Oficial Mexicana. “Lentes de Seguridad para Anteojos de Protección contra Impactos y Radiaciones”. DGN-S-4-1977. (Cancela la DGN-S-4-1976).

Sin duda, conocer un poco más de las normas y estándares de calidad, supone el máximo aprovechamiento de los materiales oftálmicos, lo cual impacta de manera directa en mejorar tanto la salud como el desempeño visual de los pacientes.

A continuación, se presentan las características de los lentes oftálmicos más utilizados en el sector optométrico, donde se pueden observar los beneficios de estos materiales (Esquema 1).

Esquema 1. Características de las lentes oftálmicas

Índice de refracción de 1.49

Resina que se endurece con el calor (Material orgánico)

Resistente a la mayoría de los solventes Ligero comparado con el cristal Abbe alto de 59

Índice de refracción de 1.586

Alta capacidad de protección contra los rayos UV

Brinda una elevada transparencia

Abbe alto de 30

INDEX (HI) Ligero y delgado

Resistente y mantiene la calidad óptica

Abbe alto de 32

Material de bajo costo

Aunque existen otros materiales en la fabricación de las lentes oftálmicas, sin duda, estos últimos rigen el mercado por su facilidad en diseños de combinar propiedades como ser materiales tintables o fotocromáticos, que se les puedan agregar películas delgadas, combinar diseños, esferas, cilindros, bifocales, etc.

Este reportaje fue escrito por Visión Plus en colaboración con el M. en C. Luis Antonio Hernández Flores, profesor adscrito a la Especialidad en Lentes de Contacto, del CICS Unidad Santo Tomás IPN.

Bibliografía:

1. Regulations CoF. 21 CFR 801.410 - Use of impact-resistant lenses in eyeglasses and sunglasses. Food and Drug Administration, HHS, DEPARTMENT OF HEALTH AND HUMAN SERVICES; 2012.

2. Hernández VS. RIESGOS Y EXIGENCIAS LABORALES POR USO PROLONGADO DE PROTECCIÓN OCULAR EN PERSONAL DE SALUD DURANTE LA PANDEMIA DE COVID-19, CDMX, 2020. Instituto Politécnico Nacional, optometría; Mayo 22.

Índice de refracción de 1.67

Este artículo fue publicado y traducido bajo los términos de la licencia de Creative Latin Media con Jobson Healthcare Information. Queda estrictamente prohibida su reproducción total o parcial.

Colaboración humana + IA en optometría: redefiniendo el rol del clínico

La frase “La IA asistirá, no reemplazará” se repite con frecuencia en salud visual, pero su uso excesivo ha ocultado una transformación más profunda. A diferencia de herramientas pasivas como el foróptero, la IA opera de forma ambiental, analizando datos y generando información sin intervención directa. Esta presencia silenciosa está modificando no solo el trabajo de los profesionales de la visión (ECPs), sino también su forma de pensar y tomar decisiones clínicas.

El razonamiento clínico tradicional, basado en la experiencia y el reconocimiento de patrones, ahora se complementa con inferencias estadísticas y modelos predictivos. Surge así un nuevo diálogo entre humano y máquina, que exige redefinir la experiencia clínica y la formación profesional.

Nuevas habilidades y mentalidad

Los ECPs ya no son los únicos intérpretes de señales diagnósticas. Interactúan con sistemas inteligentes en ciclos de retroalimentación continua. Esto requiere habilidades para interpretar resultados probabilísticos, reconocer sesgos y comprender cómo la IA expresa incertidumbre. No se trata de formar ingenieros, sino de ampliar la alfabetización en datos y pensamiento crítico.

Además, se necesita una nueva mentalidad. La superioridad de la IA en tareas específicas —como el análisis de imágenes retinianas o la detección temprana de patologías— puede generar inseguridad o re-

sistencia. Por eso, la metacognición se vuelve esencial: reflexionar sobre el propio juicio clínico y cómo este se ve influido por las recomendaciones algorítmicas.

El valor de lo humano

En este entorno híbrido, lo que distingue al profesional no es solo su capacidad analítica, sino su habilidad para conectar, contextualizar y cuidar. La empatía, la presencia, la narración y la construcción de confianza son pilares irremplazables. El profesional debe traducir datos complejos en planes de atención comprensibles y compasivos, alineados con las necesidades individuales del paciente.

Formación para el futuro

La educación optométrica debe evolucionar. Las habilidades relacionales y comunicativas deben tener el mismo peso que la anatomía o la farmacología. Juegos de rol, simulaciones y estudios de caso deben ocupar un lugar central, preparando a los estudiantes para explicar, interpretar y acompañar al paciente en decisiones compartidas.

Llamado a la acción: las instituciones educativas deben actuar con decisión. Esto implica:

1.- Rediseñar currículos, integrando la IA como eje transversal en diagnóstico, ética y comunicación.

2.- Crear entornos de aprendizaje inversivos, con simulaciones que reflejen la colaboración entre paciente, profesional y máquina.

3.- Capacitar al profesorado, brindando tiempo y recursos para liderar esta transformación.

La atención clínica del futuro ya está en marcha. Solo quienes inviertan en innovación y formación estarán preparados para moldearla.

Los materiales de lentes permeables al gas Boston XO® y Boston XO2® están diseñados para satisfacer la demanda de una alta transmisibilidad de oxígeno sin comprometer los requisitos de rendimiento del diseño de las lentes y las características de humectación de la superficie.

Ambos son adecuados para una amplia gama de diseños especiales para necesidades visuales exigentes, entre las que se incluyen:

• Lentes de contacto esféricos y asféricos para la miopía, la hipermetropía y afecciones irregulares de la córnea, como el queratocono.

• Lentes de contacto bifocales para la presbicia.

• Lentes tóricos para corregir el astigmatismo en pacientes con y sin afaquia.

• Diseños de lentes esclerales indicados para su uso en pacientes que tienen una enfermedad de la superficie ocular, como la xeroftalmia.

Están disponibles con varios tintes de manipulación.

Boston XO® Dk 100

Boston XO2® Dk 141 ISO/FATT*

Boston XO® y Boston XO2® están disponibles en diámetros tanto estándares como superiores de hasta 21 mm y cuentan con la tecnología de revestimiento Hydra-PEG® de Tangible®

Comuníquese con los expertos de su laboratorio autorizado de Boston para realizar pedidos y solicitar asesoramiento sobre ajustes.

Diseño que transforma visión y estilo

Por Juliana Velásquez, editora 20/20 en Español.
Más allá de la moda: la ciencia, la identidad y la tecnología detrás de cada lente

En el mundo de la óptica, pocas cosas son tan fascinantes como el proceso detrás del diseño de un par de lentes. Lo que a simple vista parece un accesorio cotidiano es, en realidad, el resultado de una combinación magistral entre ciencia, ingeniería, estética y estilo de vida. Cada curva del armazón, cada elección de material y cada detalle en la geometría de la lente está pensado no solo para corregir la visión, sino para acompañar la forma en que nos mostramos ante el mundo.

Hoy, hablar de diseño de lentes y armazones ya no se limita a la moda. Se trata de comprender cómo la óptica se convierte en un punto de encuentro entre innovación tecnológica, identidad personal y salud visual. Los usuarios buscan que sus gafas sean una extensión de ellos mismos, al mismo tiempo que esperan que les ofrezcan confort y durabilidad. Y en este equilibrio, encontramos tres grandes razones que explican por qué el diseño es la esencia de los lentes modernos.

La primera razón tiene que ver con la funcionalidad y ergonomía. Los armazones actuales no son únicamente estructuras que sostienen una lente: son soluciones de ingeniería que buscan hacer del uso diario una experiencia confortable. El peso, la forma de las varillas, la fle-

xibilidad de los materiales y la manera en que se adaptan a la fisionomía del rostro determinan si un lente se convertirá en un aliado cotidiano o en un accesorio olvidado en el cajón.

En los últimos años, los fabricantes han apostado por materiales ultraligeros como el titanio, polímeros de alta resistencia o acetatos mejorados que garantizan durabilidad sin sacrificar estética. Las bisagras con memoria, las varillas flexibles y los diseños adaptados a distintas formas de nariz son avances que responden directamente a la necesidad de un uso prolongado sin molestias. Un diseño ergonómico, al final, asegura adherencia: el paciente que se siente cómodo con sus lentes es aquel que cumple con su prescripción y mantiene su salud visual protegida.

La segunda razón es la expresión de identidad. Los lentes se han convertido en un lenguaje silencioso de estilo, en un signo de personalidad y confianza. Elegir un armazón ya no es solo elegir un accesorio médico, sino un acto de autoafirmación. Desde los diseños sobrios que transmiten profesionalismo hasta los modelos atrevidos que hablan de creatividad y energía, cada par de lentes cuenta una historia.

Las tendencias actuales reflejan esta diversidad: monturas oversize que evocan glamour retro, modelos minimalistas en metal que transmiten elegancia discreta, acetatos traslúcidos que juegan con la luz, o combinaciones de colores intensos que buscan romper esquemas. La óptica, en este sentido, ya no es únicamente un espacio de corrección visual, sino también un escenario de exploración estética. El paciente busca en los lentes una extensión de su marca personal, y el diseño responde a ese deseo con colecciones cada vez más inclusivas, diversas y adaptadas a públicos heterogéneos.

La tercera razón está en la innovación tecnológica aplicada al diseño. Nunca antes la ciencia y la moda habían estado tan entrelazadas como hoy en la creación de lentes. La impresión 3D ha permitido fabricar armazones personalizados, adaptados a las medidas exactas del rostro de cada paciente. Los materiales inteligentes con memoria de forma ofrecen resistencia y flexibilidad, mientras que los acetatos ecológicos responden a la creciente conciencia ambiental de los consumidores.

Por su parte, las lentes oftálmicas también han sido transformadas por el diseño digital. Hoy es posible personalizar la geometría de la lente según la forma en que el paciente mira, sus hábitos visuales o incluso su postura. Se desarrollan

lentes diseñadas específicamente para quienes pasan largas horas frente a pantallas, para conductores nocturnos o para niños en control de miopía. Este nivel de personalización demuestra que el diseño ya no es un lujo estético, sino una herramienta clínica que eleva la calidad de vida.

En conjunto, estas tres razones nos muestran que el diseño de lentes es mucho más que una tendencia pasajera: es el corazón de una industria que responde a la evolución del consumidor moderno. Porque hoy, elegir unos lentes no es únicamente una decisión médica; es una declaración de quiénes somos, cómo vivimos y cómo queremos ver el mundo.

La óptica que logre transmitir esta historia a sus pacientes tendrá en sus manos una ventaja competitiva invaluable. No se trata solo de ofrecer un producto, sino de invitar a las personas a descubrir que, detrás de cada lente, hay un universo de investigación, innovación y creatividad. Una invitación a ver con nitidez, pero también a mostrarse con autenticidad.

Al final, los lentes y armazones no son meros accesorios: son símbolos de identidad, herramientas de salud y piezas de diseño que conectan la ciencia con el arte. Y es precisamente en esa intersección donde reside su verdadero poder.

Revisa la galería de imágenes aquí

Summit VisionyOptica™ 2025: esta segunda edición

marcó un nuevo hito en la salud

visual y la industria óptica

Un encuentro que superó expectativas

La segunda edición del Summit VisionyOptica™ superó las expectativas y se consolidó como la cita de referencia para la salud visual en México y Latinoamérica. Organizado por Visión y Óptica junto con IMEVI, esta alianza reafirma su propósito de fortalecer el ecosistema profesional en toda la región. Durante tres días de intensa actividad académica y comercial, el encuentro reunió a más de 1,300 asistentes de distintos países y ofreció más de 105 conferencias, simposios y talleres distribuidos en cuatro salones temáticos: Ciencias de la Visión,

Optometría Pediátrica, Óptica y Gestión y Laboratorios, diseñados para responder a las necesidades de profesionales, estudiantes y actores de la industria.

Asimismo, la presencia de 49 patrocinadores y aliados evidenció el respaldo del sector, con exhibiciones y experiencias que marcaron tendencia en innovación tecnológica, equipamiento, lentes oftálmicas y servicios de valor. El Summit VisionyOptica™ se consolida no solo como un congreso académico, sino como una plataforma integral de relacionamiento y negocios para toda la comunidad de la salud visual.

En palabras de su directora académica, la doctora Patricia García, “cada simposio, sesión, conferencia o taller fue cuidadosamente diseñado y preparado para fortalecer el criterio clínico, fomentar la innovación interdis-

ciplinaria y desarrollar nuevas estrategias y habilidades en beneficio de los pacientes y de los clientes de la óptica, que son finalmente la razón de ser nuestra profesión. Como directora académica, me enorgullece ser testigo del entusiasmo, la excelencia y el espíritu colaborativo que definen este Summit. Agradezco a cada profesional que ha elegido este camino de actualización y liderazgo, y muy especialmente al L.O. Salvador González director de la Licenciatura de Optometría de la Universidad Autónoma de la Laguna por su apoyo y aval en la construcción de todo el programa académico”.

Excelencia académica y visión interdisciplinaria

El programa académico se distinguió por su riqueza temática y la calidad de sus ponentes. Se abordaron avances en la corrección de la presbicia, el poder de los filtros terapéuticos, las enfermedades degenerativas y la baja visión; además, se presentaron nuevas perspectivas en optometría pediátrica, con énfasis en el control de la miopía, y desarrollos en contactología especializada y lentes esclerales.

En el Salón de Ciencias de la Visión, seis simposios profundizaron en superficie ocular y factores ambientales, enfermedades degenerativas, neurorehabilitación visual, evolución de los lentes de contacto, nutrición y bienestar ocular y orto-k. También, se integraron foros sobre la importancia de la salud visual en la salud pública y conferencias sobre la relación entre visión, productividad y calidad de vida.

El Salón de Optometría Pediátrica reunió sesiones sobre neurodesarrollo visual infantil, tamizaje visual neonatal, contactología pediátrica, ambliopía, estrabismo y miopía, con talleres prácticos en terapia visual y evaluación del aprendizaje, reforzando la atención temprana y la prevención.

En el Salón de Óptica y Gestión, especialistas en marketing, liderazgo y experiencia del cliente analizaron la evolución de los modelos de negocio, la digitalización del punto de venta, la gestión consciente y la integración de la recomendación clínica con la estrategia comercial. Paralelamente, el espacio de Laboratorios ofreció una mirada técnica e industrial sobre calidad de materiales, sostenibilidad, optimización de procesos y capacitación continua como motor de innovación.

Ciencia aplicada y ponencias destacadas

El Summit VisionyOptica™ 2025 se consolidó como un punto de encuentro donde la ciencia se traduce en soluciones prácticas para la clínica y la salud pública. Entre las participaciones desta-

cadas, están: la Dra. Valeria Sánchez Huerta (APEC) lideró el foro “Visión para todos: por la salud visual a lo largo de la vida”; el Dr. Raúl Suárez (Instituto Médico de la Visión) expuso sobre visión, trabajo y productividad; la Dra. Silvia Moguel abordó neurodesarrollo visual y parálisis oculomotoras; el Dr. Tito Gómez profundizó en queratocono infantil; y el Dr. Eduardo Chávez Mondragón analizó los retos diagnósticos y terapéuticos de las cataratas. La salud visual pediátrica tuvo un rol central con el Dr. Martín Gallegos y la Dra. Vanessa Bosch, quienes presentaron innovaciones en ambliopía, estrabismo y control de la miopía.

Más allá del componente clínico, la agenda integró gestión empresarial y sostenibilidad de la práctica profesional, con estrategias de rentabilidad para ópticas y laboratorios e innovaciones en la cadena de valor. La combinación de simposios, conferencias magistrales y talleres prácticos ofreció una experiencia completa, donde ciencia y práctica se encontraron para impulsar la actualización continua de la comunidad oftalmológica y optométrica.

Innovación y fuerza industrial

La industria fue uno de los pilares del evento, con 49 empresas comprometidas con la innovación. Laboratorios, fabricantes de lentes oftálmicos y de contacto, desarrolladores de equipos diagnósticos, proveedores de insumos para laboratorios y casas de armazones presentaron tecnologías que están transformando la práctica visual. Su participación reflejó la fuerza, diversidad y dinamismo del mercado, así como el compromiso con el desarrollo científico, tecnológico y humano de la salud visual.

Durante los tres días, las marcas compartieron productos, soluciones y tendencias que definen el futuro del sector y fortalecieron vínculos con profesionales, instituciones y asociaciones de toda la región. En un ambiente de colaboración, el Summit se posicionó como convergencia entre innovación empresarial y excelencia clínica, impul-

sando alianzas estratégicas y nuevas oportunidades de crecimiento. Próximamente se publicarán entrevistas exclusivas con líderes del sector, con perspectivas y avances que marcarán el rumbo de la industria óptica en los próximos años.

Encuentro de Laboratorios y reconocimiento

a la excelencia

Bajo la coordinación de Ángela Rocío Suárez, el Encuentro de Laboratorios mostró la transformación del sector oftálmico, impulsada por la tecnología, la sofisticación de la demanda y la alineación con estándares internacionales. Se enfatizó la necesidad de adaptación y crecimiento, integrando soluciones que optimicen la producción, garanticen la calidad y promuevan la diferenciación mediante productos innovadores (como recubrimientos especiales).

El capital humano se reconoció como motor de excelencia: capacitación continua, cultura organizacional sólida y desarrollo de talento para responder a los retos del mercado. La optimización de procesos se destacó como clave para mejorar la eficiencia y satisfacción del cliente. Finalmente, se subrayó que la rentabilidad debe avanzar de la mano de la responsabilidad social y la sostenibilidad, adoptando prácticas ecológicas acordes con un consumidor cada vez más consciente.

Premio Laboratorio del Año SIOU

El Premio Laboratorio del Año SIOU, entregado durante el Summit VisionyOptica™ 2025, representa el más alto reconocimiento al compromiso, la innovación y la excelencia dentro de la industria óptica latinoamericana. Este galardón, patrocinado por SIOU, busca destacar a los laboratorios que impulsan el desarrollo del sector a través de la mejora continua, la implementación de nuevas tecnologías y la formación de talento especializado. Más que un trofeo, es un símbolo de liderazgo y una inspiración para quienes tra-

bajan por elevar los estándares de calidad y servicio en la óptica.

En esta edición, EUROLAB, Desarrollos Tecnológicos Ópticos (DTO) y Rosedal fueron reconocidos por su sobresaliente trayectoria, capacidad de adaptación y visión de futuro. Cada uno de ellos refleja el espíritu que SIOU busca promover con este premio: la construcción de una industria sólida, sostenible y basada en la colaboración. A través de este reconocimiento, SIOU reafirma su compromiso con el fortalecimiento del ecosistema óptico, incentivando a más laboratorios a seguir innovando y a continuar aportando valor a la salud visual de la región.

Cierre y proyección

Desde la organización agradecemos a asistentes, conferencistas, patrocinadores, instituciones académicas y asociaciones por hacer posible esta segunda edición. El éxito del encuentro es fruto del trabajo colaborativo y del compromiso de una comunidad que comparte un objetivo común: elevar el nivel científico, promover la innovación y fortalecer la industria en beneficio de los pacientes.

Este respaldo reafirma la visión del Summit como un espacio que trasciende la capacitación para convertirse en punto de encuentro donde nacen alianzas, se generan oportunidades de negocio y se consolidan proyectos de impacto regional. Con el entusiasmo renovado, la invitación queda abierta para la tercera edición del Summit VisionyOptica™, que proyecta nuevas sorpresas, mayores oportunidades de actualización y un firme compromiso de seguir transformando la manera en que se entiende, se gestiona y se cuida la salud visual en Latinoamérica.

40 años de SofLens®: una historia que sigue viendo más allá

Baunch + Lomb hizo un recorrido por el tiempo y conectó a través de la historia para celebrar los 40 años de SofLens®, el lente de contacto más emblemático de la compañía y pieza fundamental en la evolución de la categoría. SofLens® no solo marcó el inicio de una nueva era en el uso de lentes de contacto blandos, sino que también sentó las bases para el desarrollo de innovaciones que, hasta hoy, continúan transformando la vida de millones de usuarios alrededor del mundo de uno de sus productos más icónicos que están en el mercado.

Más de 170 años de historia global y 40 años en México

Para este gran evento, se apoyaron de la genialidad de Leonardo Da Vinci hasta la audacia de Adolf Gaston Eugen Fick para contar la creación, evolución y diseños de los lentes a través de un emotivo túnel del tiempo que, quienes tuvieron la oportunidad de recorrerlo, pudieron descubrir la grandeza de una marca que ha acompañado la salud visual por generaciones. Bausch + Lomb cuenta con más de 170 años de trayectoria a nivel mundial, y este año celebra con orgullo cuatro décadas en México.

La ocasión fue más que un festejo: fue una mirada a la historia, a la innovación constante y, sobre todo, a la visión hacia el futuro. Durante la ceremonia, se recordó que el compromiso de la compañía siempre ha estado en el cuidado de la salud visual, con un propósito firme: ayudar a las personas a ver mejor para vivir mejor.

Desde sus orígenes, Bausch + Lomb fue pionera en el desarrollo de lentes de contacto, marcando

un antes y un después en la industria óptica. Su innovación no solo transformó la forma en que millones de personas experimentan la visión, sino que también abrió camino a nuevas tecnologías y tendencias que hoy definen el mercado.

Celebrar la visión: SofLens® cumple cuatro décadas de claridad

Como parte del evento, la licenciada en optometría, Karina Silva, fue una de las anfitrionas para conducir a los asistentes a este viaje en el tiempo y dejando muy claro en el imaginario colectivo lo importante que ha sido SofLens® para México en estos 40 años desde su lanzamiento y que el desarrollo del producto no se estanca, continúa: “su evolución ha sido bastante interesante atendiendo las nuevas necesidades de los pacientes principalmente aquellos más digitales y no nos podemos quedar con tecnologías atrás. Hoy en día Bausch + Lomb se preocupa por esa gran necesidad y tenemos productos como Ultra que se enfoca en los pacientes digitales”, comentó y también adelantó que próximamente vendría el lanzamiento de un producto vanguardista que va a impactar al mercado, aunque no dio

mayores detalles para no arruinar la sorpresa e hizo hincapié de que traerá grandes beneficios para los pacientes.

En esa misma línea, el gerente de producto, Bruno Lazzeri, también fue parte de esta celebración donde destacó la importancia de SofLens® para sus usuarios, los beneficios y el compromiso con la salud visual: “En Bausch + Lomb la innovación no se detiene, mientras festejamos el legado de SofLens®, también miramos hacia el futuro con entusiasmo y determinación, marcas de reciente lanzamiento como Ultra son prueba de que seguimos apostando por la evolución, por la tecnología y ofrecer soluciones que estén a la altura de los pacientes”.

En el ring de la visión: SofLens® sigue invicto

Al cierre de la celebración, el ambiente se transformó en toda una fiesta llena de energía y sorpresas con un espectacular show de lucha libre. Sobre el ring se enfrentaron dos personajes muy especiales: “SofLens”, representando la visión clara y la innovación en color azul, y “Dr. Miopía”, como símbolo de los retos visuales que muchos enfrentan día a día, vestido de rojo. Tras un emocionante combate, la victoria fue para “SofLens”, sellando así el mensaje central de la noche: con Bausch + Lomb, la claridad y la salud visual siempre triunfan.

Esta celebración no solo conmemoró un aniversario, sino que rindió homenaje a una trayectoria que ha dejado huella en la historia de la salud visual, consolidando a Bausch + Lomb como una empresa que mira hacia adelante, sin olvidar el legado que la respalda.

Vision Expo West se despide de Las Vegas

La industria óptica inicia una nueva era en 2026

Vision Expo West 2025 cerró su historia en Las Vegas con una edición vibrante que reunió innovación, educación y networking, anunciando al mismo tiempo un cambio trascendental para la industria óptica mundial.

Vision Expo West 2025 marcó un hito histórico al despedirse de Las Vegas, ciudad que por décadas fue el escenario de uno de los encuentros más relevantes para el sector. Del 17 al 20 de septiembre, cerca de 10.000 profesionales de 80 países, se dieron cita en un evento que reunió a más de 340 marcas y empresas, consolidándose como un espacio único de innovación, alianzas y actualización académica. Con un 34% de nuevos asistentes y más de la mitad de ellos tomadores de decisión, Vision Expo West dejó en claro su poder de convocatoria en el último capítulo de este formato regional.

El piso de exhibición fue testigo de propuestas que reflejan la transformación del sector: desde el LaunchPad Showcase, donde startups presentaron avances en inteligencia artificial, realidad aumentada y virtual, hasta el Indie Lab Speakeasy para laboratorios independientes y el NOW Design Showcase con competencias de diseño en vivo.

La agenda educativa, con más de 200 sesiones, abordó temas clave como la revolución de la IA en la atención visual, el manejo de la miopía, las innovaciones en lentes de contacto y los retos de inclusión en la práctica optométrica. A ello se sumaron eventos inspiradores como la premiación Most Influential Women in Optical, el desfile Flaunt the Frame y conferencias magistrales sobre el futuro de la óptica, y el ambiente de comunidad se respiró también en los espacios de networking.

Más allá de la experiencia en Las Vegas, la gran noticia fue el anuncio de un cambio estratégico: a partir de 2026 Vision Expo se celebrará como un solo evento global anual, comenzando en Orlando del 12 al 14 de marzo, para luego rotar entre Las Vegas en 2027 y Nueva York en 2028. Esta decisión, inédita desde los años ochenta, busca reunir en un mismo escenario a toda la comunidad internacional de la visión, ofreciendo un espacio más robusto para la innovación, la educación y las alianzas de negocio.

Así, Vision Expo West 2025 no solo fue una feria, sino un cierre simbólico que abrió la puerta a una nueva era para la industria óptica mundial.

México

AUGEN

MEX

Tel: 3316940024 ventasmexico@augenlabs.com www.augenlabs.com

BAUSCH + LOMB

MEX

Tel. 52 55 50624800 (55) 50-62-40-00 (55) 50-62-48-00 01-800-800-83-03 www.bauschmexico.com

BOSTON MATERIALS

USA

Phone: (800) 999-2678 Web: https://www.bostonlensmaterials. com/ Email: CustSer@bausch.com

BUYES OPTICAL

MX

Tel:52 551560 0066 Corporativo@buyes-optical.com

COBURN TECHNOLOGIES

USA

Tel.: 305 592 4705 Fax: 305 594 9058

COOPERVISION LATIN AMERICA

MEX

Tel.: 525554887470 contactolatam@coopervision.com coopervisionlatam.com

ESSILOR

MEX

Essilor México S.A. de C.V. Tel.: (55) 5130 7310

FOCUS ON LENS

MEX

Tel: 55-9134-8426 info@focusonlens.com.mx https://focusonlens.com.mx/

GRANLENTE

MEX

Tel.: 55 5161 6900 Cel.: 55 8177 7777

Dirección:Calle de Motolinia 38-B, Centro, Cuauhtémoc, 06000 CDMX https://www.granlente.com

H20 MICAS

MEX dynastyooptical@live.com micas-h2o@hotmail.com

Alcon 41

Augen 54

Bausch Lomb 75

Boston Materials

Buyes Optical 29

Coburn Tech 43

CooperVision 37

EssilorLuxottica 23, Portada 3

Focus 49

GranLente 77

H20 Micas 7

Laboratorios Sophia 39

Lens Best 69, Portada 4

Lucy’s Optical 27

Satisloh 67

Seto Portada 1, 2, 1, 15

Transitions 5

Vertex 57

Vision Plus 59

Yiwu 3

younger optics 35

UAL 79

LABORATORIOS SOPHIA MX www.sophia.com.mx

Email: contacto@sophia.com.mx SOPHILINEA: 01800121203

LENS BEST S.A DE C.V

daniel@lens-best.com www.premiumlensbest.com

SETO

MEX

Tel. 52 (55) 5521 7800 Cel: 5563532986 setomexico@hotmail.com

TRANSITIONS

MEX

Transitions Optical, Inc. Tel.: 55 51307310 www.transitions.com

VERTEX IMPULSORA DE OPTICAS

S.A. DE C.V. MEX

Dirección: Dr. Atl # 231, Colonia Sta. Maria la Ribera, Delegación Miguel Hidalgo C.P. 06400, CDMX Tel: (52) 5555411285 www.vertexlab.com.mx

VISIÓN PLUS

Tel.: 55 5510 3834 ventas@visionplus.com.mx www.visionplus.com.mx

LUCY’S OPTICAL S.A. DE C.V. MEX

Lucy’s Optical, S.A. de C.V. Tel.: (55) 5363 5947 Fax: (55) 5373 6242

YIWU IMPORTACIONES, S.A. DE C.V.

Dirección: Tomás Alva Edison No.64 Col. Tabacalera C.P 06030, Alcaldía Cuauhtémoc CDMX Tel: 55 5529 4477

Celular/Whatsapp: 56 2208 8888 contacto@yiwuimportaciones.com

YOUNGER OPTICS

USA

Tel: (305) 740 3458 / 761 6953 Fax: (786) 268 7036 eparra@youngeroptics.com

Crizal®: un escudo invisible para tus ojos y para tus lentes. Una promesa de transparencia, durabilidad, fácil cuidado y protección.

Resistencia a rayas

International - Enero de 2025. Essilor® y Crizal® son marcas registradas de Essilor International.

Euromonitor International, Eyewear 2023 edición; Compañía Essilor International; Valor de mercado según PVP (precio de venta al público)

Visión Sencilla Essilor

Turn static files into dynamic content formats.

Create a flipbook
Issuu converts static files into: digital portfolios, online yearbooks, online catalogs, digital photo albums and more. Sign up and create your flipbook.