Skip to main content

Review of Ophthalmology - Primera Edición en Español - 2026

Page 1


A CREATIVE LATIN MEDIA PUBLICATION / PRIMERA EDICIÓN, FEBRERO 2026, VOLUMEN 133

Especial Glaucoma

Preservación endotelial en cataratas de extrema dureza con trabeculectomía previa: desafíos de la MSICS en escenarios de baja reserva biológica

p. 4

¿En qué se diferencia el glaucoma pediátrico del adulto?

p. 8

Editora en Jefe: Laura Malkin-Stuart

Editor Clínico en Jefe (Español): Dr. Eduardo Viteri

Editor Clínico en Jefe (México): Dr. Raúl Suárez

Editor en Español: Juan Pablo Chajín

Editora en Jefe México: Elizabeth Olguín

Editoras México: Anaís Barrera

Cecimar Kerch

Editor Europa: Nicolas Plotnicoff

Diseño Gráfico: Nathalia López

Diseñador Gráfico de Medios Digitales: Cristian Puentes

Producción y Preprensa: Alejandro Bernal

Profesional Logística: Ximena Ortega Bernal

Ilustración basada en el artículo: “Eficacia del latanoprosteno bunod como monoterapia inicial en el glaucoma secundario a pseudoexfoliación”, recreado mediante herramientas de inteligencia artificial y publicado en Review of Ophthalmology México.

Producida / Editada / Diseñada / Distribuida por: 3 Touch Media S.A.S.

OFICINAS Y VENTAS

Director General (CEO): Sergio Plotnicoff

Presidente Honorario: Juan Carlos Plotnicoff

Directora de Comunicaciones: Laura Malkin-Stuart

Directora Administrativa y Financiera: Luisa Fernanda Vargas A. Dirección de Distribución: José Antonio Ferrarotto

Creative Latin Media LLC

2901 Clint Moore Rd, P.M.B 117 Boca Raton, FL 33496

USA

Tel: +57 310 304-8820

e-mail: suscripciones@clatinmedia.com

Las traducciones y el contenido editorial de Review of Ophthalmology En Español, no pueden ser reproducidos sin el permiso de Creative Latin Media™.

VENTAS

USA, Europa y Brasil, Héctor Serna: Director Comercial Cel: +1 561 4437192, ventas1@clatinmedia.com

México Carlos Cerezo: Cel: +52 5513523306 ccerezo@clatinmedia.com

Latinoamérica Kelly Triana: Cel: +57 (320) 945-4400, ktriana@clatinmedia.com

Proyectos Especiales Ángela Peralta: pespeciales@clatinmedia.com, Cel: +57 (320) 945-4382

OFICINAS

USA: 2901 Clint Moore Rd, P.M.B 117 Boca Raton, FL 33496, Tel: +1 (561) 716-2711

Colombia: Carrera 7 No. 106 - 73 Of. 301 Bogotá, Colombia, Tel: +57 (310) 304-8820

México: Río Mississippi 49, piso 14, int. 1402. Colonia Cuauhtémoc, Alcaldía Cuauhtémoc, Ciudad de México, CP. 06500, Tel: (55) 2803-8170

Review of Ophthalmology en Español (ISSN: 2619 5895) “ISSN: 2981-3867 (En línea)”, es una revista producida, editada, diseñada y distribuida por Creative Latin Media, LLC. en Bogotá Colombia, bajo la licencia de Jobson Publishing, LLC. Su distribución es para todos los profesionales de la Salud Visual que cumplan con los requisitos para recibir la revista en América Latina.

Tarifas de suscripción anual, seis ediciones. Colombia US$60, México US$60, Latinoamérica (países de habla hispana) US$120, Brasil US$180, USA y Canadá US$220, Europa y Asia US$260. Para suscripciones comuníquese a suscripciones@clatinmedia.com.

Otros productos de Creative Latin Media son: 20/20 en Español, 20/20 México

Edición n° 1. Volumen 133 1

ESPECIAL GLAUCOMA

Preservación endotelial en cataratas de extrema dureza con trabeculectomía previa: desafíos de la MSICS en escenarios de baja reserva biológica

PorDr. Gustavo EspinozayDr. Carlos Rivera 04

¿En qué se diferencia el glaucoma pediátrico del adulto?

Por Dra. Elena Bitrian 08

La cirugía filtrante en su máxima expresión

PorAndrewBeers, editorasociado 12

¿Pueden los pacientes con glaucoma recibir LIOs premium?

Por Christine Yue, editora asociada sénior 18

¿Cuándo y cómo hacer cirugía combinada de cataratas y glaucoma?

PorDr. Francisco OtárolayDra. Isabella Monsalve 24

ARTÍCULOS

Fisiopatología de la miopía: del desenfoque periférico a la señal dopaminérgica

Por Dr. RafaelIribarrenyDra. María Marta Galan 28

Carta Editorial 2

COMITÉ EDITORIAL CLÍNICO

COMITÉ EDITORIAL REVIEW OF OPHTHALMOLOGY ESPAÑOL 2026

Eduardo Viteri Coronel, MD.

Editor Clínico Jefe

Laura Malkin-Stuart Editora en Jefe

Mauricio Uribe, MD. Editor Fundador, Colombia

M. Bowes Hamill, MD. Profesor Asociado, Cullen Eye Institute Baylor College Of Medicine. José Manuel Rojas Z., MD. Profesor Asociado, Universidad de Costa Rica. San José de Costa Rica, Costa Rica.

Héctor Forero, MD. Director de la Clínica de ojos Forero Bogotá, Colombia.

Magda Gil O., MD.

Sub-Especialista en Glaucoma. Jefe de Glaucoma Hospital de San José, Bogotá, Colombia.

Andrés Cárdenas H., MD. Cirujano Oculoplástico. San Salvador, El Salvador. Fernando Colombo R., M.D. Sub-Especialista en Cirugía de Párpados, Órbita y Vías Lagrimales. Centro Médico Docente la Trinidad. Caracas, Venezuela.

Andrés Rosas., MD. Cirujano Refractivo Director Científico de Exilaser Bogotá, Colombia

Dra. Ingrid Carolina González editora clínica de Review of Ophthalmology en Español

El consejo editorial de Review Of Ophthalmology México en Español invita a nuestros lectores a escribir al correo lmalkinstuart@clatinmedia.com y eolguin@clatinmedia.com sus casos clínicos o experiencias científicas que consideren de interés para compartir con nosotros. Por favor indicarnos, lugar de contacto, número telefónico y correo electrónico Impresión El Tiempo Casa Editorial.

Estimados colegas,

Eduardo Viteri Coronel, MD

Editor Clínico Jefe

Review of Ophthalmology en Español eviteri@humanavision.com

Es un honor darles la bienvenida a la primera edición del año 2026 de nuestra revista, dedicada a un tema central en la oftalmología: “el glaucoma”. Este trastorno ocular, que afecta a millones de personas en todo el mundo, es una patología frecuente en la práctica clínica y, por su complejidad, no puede abordarse en su totalidad en un solo volumen. La constante evolución en su diagnóstico y tratamiento nos motiva a ofrecer contenido actualizado y de relevancia clínica. Fieles a nuestra línea editorial, en esta edición hemos priorizado información que pueda aplicarse de forma inmediata y eficaz en la práctica diaria de los oftalmólogos.

El glaucoma puede presentarse tanto en la infancia como en la edad adulta, cada uno con características y desafíos propios. El artículo de la Dra. Elena Bitrian profundiza en las diferencias fundamentales entre el glaucoma pediátrico y el del adulto, y destaca cómo la mayor elasticidad de los tejidos en los niños, junto con el desarrollo ocular en curso, da lugar a una patología más compleja y a un manejo clínico particularmente exigente.

La creciente adopción del tratamiento quirúrgico del glaucoma representa un avance importante, especialmente en pacientes que también presentan catarata. En estos casos, la cirugía combinada de catarata y glaucoma permite tratar ambas condiciones en un solo procedimiento, con el objetivo de mejorar la visión y lograr un mejor control de la presión intraocular. Además, la extracción del cristalino puede contribuir a disminuir la presión ocular y, en muchos pacientes, reducir la necesidad de gotas para el control del glaucoma.

Además, la incorporación de lentes intraoculares premium en pacientes con glaucoma ha abierto nuevas posibilidades terapéuticas. Estas lentes avanzadas ofrecen beneficios visuales significativos, pero su uso debe evaluarse cuidadosamente en función de la gravedad del glaucoma y la salud ocular general del paciente. Los artículos adjuntos proporcionan directrices valiosas que permiten a los oftalmólogos aconsejar a cada paciente de manera individualizada, asegurando decisiones informadas que maximicen tanto la salud ocular como la funcionalidad visual.

En esta edición, también abordamos la fisiopatología de la miopía, un tema de creciente relevancia, especialmente ante la alarmante “epidemia de miopía” que afecta a diversas poblaciones urbanas en todo el mundo. A medida que se profundiza en los mecanismos subyacentes a esta condición, se abren nuevas oportunidades para su manejo y prevención. La comprensión de los factores ambientales y del papel de la dopamina en el crecimiento ocular es fundamental para desarrollar estrategias que mitiguen su progresión, lo cual es crucial para la salud visual de las futuras generaciones.

Les agradecemos su continuo compromiso con la excelencia en la atención oftalmológica y les invitamos a explorar los artículos y estudios de esta edición.

Un afectuoso saludo,

Editora en Jefe Review of Ophthalmology en Español

¡Bienvenidos a nuestra primera edición del 2026!

En Creative Latin Media llevamos más de 30 años en el mundo de las comunicaciones en salud visual. A lo largo de este recorrido hemos vivido muchos retos en nuestras publicaciones en la región, desde la consolidación de la industria, cambios políticos y la transformación digital, entre muchos otros acontecimientos. Sin embargo, la irrupción de la inteligencia artificial en el ámbito de las comunicaciones marca un verdadero cambio de paradigma.

Si somos demasiados cautelosos nos quedaremos atrás y si aceleramos demasiado corremos el peligro de que nos atropellen.

Para nosotros, como editores, la inteligencia artificial abre puertas que antes parecían inalcanzables en la creación de contenido. Nos permite ser más ágiles y flexibles al adaptar materiales, y potencia nuestra capacidad de innovar en la forma de comunicarnos. La colaboración entre IA y el trabajo editorial no solo optimiza procesos, sino que inaugura un universo de posibilidades para enriquecer y curar nuestro contenido con una precisión y dinamismo inéditos.

Es importante que esta colaboración se lleve a cabo con la máxima integridad editorial. La experiencia y el criterio del editor siguen siendo esenciales, especialmente ante las consideraciones éticas que este nuevo mundo nos presenta. A lo largo de este año exploraremos diferentes aspectos de cómo la IA impacta el rol de las revistas.

Por ejemplo, la IA puede apoyar en la síntesis de estudios clínicos o en la detección de tendencias temáticas, pero es el editor con el apoyo de profesionales expertos, quien valida la calidad de las fuentes, contextualiza los hallazgos y evalúa su pertinencia clínica para la región. Del mismo modo, al adaptar contenidos para distintos formatos o audiencias, la supervisión editorial garantiza que no se pierda rigor, que se eviten sesgos y que se respete la autoría intelectual.

La transparencia en el uso de estas herramientas, la correcta atribución de fuentes, la protección de datos y la prevención de la desinformación son hoy parte central del quehacer editorial. En este escenario, la ética deja de ser un complemento y se convierte en un eje estratégico del proceso de publicación.

Desde nuestras revistas y de todo el ecosistema digital, exploraremos de manera crítica y constructiva cómo la inteligencia artificial está transformando el rol de los medios especializados: desde la generación y curaduría de contenidos, hasta la relación con los lectores, los anunciantes y la comunidad científica. Nuestro compromiso será claro: aprovechar el potencial de la innovación tecnológica sin perder la esencia, el rigor y la responsabilidad que definen a una publicación de referencia en el mundo oftalmológico.

Preservación endotelial en cataratas de

extrema

dureza

con trabeculectomía

previa: desafíos de la MSICS en escenarios de baja reserva biológica

Dr. Gustavo Espinoza

Dr. Carlos Rivera

El manejo de la catarata hipermadura representa un desafío quirúrgico mayor debido al riesgo incrementado de complicaciones, como la ruptura capsular posterior o la descompensación corneal. Este escenario se magnifica considerablemente en ojos que presentan compromiso endotelial y una ampolla de filtración funcionante por trabeculectomía previa.

La elección del abordaje quirúrgico representa la primera gran interrogante ante este escenario. Al comparar la pérdida endotelial entre la facoemulsificación y otras técnicas manuales como la cirugía manual de pequeña incisión (MSICS) o la extracción extracapsular de catarata (ECCE), la literatura ofrece perspectivas divergentes, usualmente evaluadas a las seis semanas postoperatorias. Por un lado, Ganekal y Nagarajappa reportaron resultados favorables para la facoemulsificación en un estudio aleatorizado (n=200). En su serie, dicho grupo mostró una pérdida celular significativamente menor frente a la técnica de MSICS: 76.12 células/mm² (3.27%) y 315.08 células/mm² (13.49%), respectivamente (1).

En contraste, Gogate y colaboradores no hallaron diferencias estadísticas utilizando un sistema de conteo de células manual y automatizado en la microscopía especular. El método manual reportó una pérdida de 543.4 células/mm² en facoemulsificación vs. 505.9 en MSICS (P=0.44), mientras que el automatizado mostró 474.2 vs. 456.1, respectivamente (P=0.98) (2). Asimismo, un estudio comparativo entre ECCE convencional, MSICS y facoemulsificación no encontró variaciones significativas, con descensos en el recuento celular de 4.72%, 4.21% y 5.41%, respectivamente (3). Finalmente, Singh y colaboradores evidenciaron una ventaja para la MSICS, con una pérdida menor (201.2 ± 158.2 células/mm²) frente a la facoemulsificación (334.3 ± 253.2; P=0.0071). Adicionalmente, el estudio reveló un punto crítico: un umbral inferior a 2.86 mm en la profundidad de la cámara anterior se correlacionó con una pérdida significativamente mayor de células durante la facoemulsificación (4).

Desde una perspectiva refractiva, la elección de la técnica también resulta determinante. Mientras la ECCE convencional suele inducir un astigmatismo “contra la regla” significativo y errático, la arquitectura del túnel escleral en la MSICS proporciona una estabilidad óptica que se aproxima a la facoemulsificación. Al respecto, George et al. (4) reportaron un astigmatismo inducido (SIA) de 1.77 ± 1.61 D para el grupo de ECCE, frente a 1.17 ± 0.95 D en MSICS y 0.77 ± 0.65 D en facoemulsificación (P=0.001). Si bien la diferencia de magnitud entre MSICS y facoemulsificación fue de apenas 0.4 D, dicha brecha no parece impactar drásticamente el éxito visual final. Esto coincide con lo reportado por Gogate et al. (3), quienes a las seis semanas no hallaron diferencias clínicas significativas en la agudeza visual corregida (mejor a 6/18) entre ambos grupos: 98.5% para facoemulsificación y 97.3% para MSICS.

La preservación de la función filtrante es prioritaria, dado que la cirugía de catarata eleva el riesgo de falla de la trabeculectomía, especialmente en intervalos postoperatorios breves entre una cirugía y otra (5). Siriwardena et al. sugieren que la fibrosis en la interfase conjuntiva-escleral es la principal barrera para una filtración efectiva. La inflamación secundaria a la liberación de proteínas, los altos volúmenes de irrigación y, crucialmente, la energía ultrasónica, disparan la producción de citoquinas fibrogénicas en el humor acuoso (6). Por tanto, la MSICS se presenta como una alternativa estratégica al eliminar el trauma térmico y vibratorio del ultrasonido, factores que de otro modo promoverían la cicatrización del sitio quirúrgico previo.

Más allá de la técnica, el éxito en escenarios complejos exige una planificación preoperatoria rigurosa. Esta inicia con la clasificación de la nucleoesclerosis y su impacto funcional, pero el RCE es el mandato absoluto para evaluar la reserva biológica. Un recuento bajo (<1000 células/mm²) obliga a considerar la MSICS, una facoemulsificación ultracorta o, ante una descompensación inminente, cirugía combinada con trasplante endotelial (DMEK/ DSAEK). En este contexto, la paquimetría es un indicador clave: grosores superiores a 600 µm suelen ser la primera señal de una disfunción endotelial preexistente (7).

Aplicación clínica: Un desafío en la práctica real

Presentamos el caso de una paciente de 81 años con agudeza visual de ‘cuenta dedos’ en el ojo derecho y antecedente de trabeculectomía, cuya ampolla filtrante superior se encontraba funcional, pero marcadamente adelgazada (Figuras 1 y 2).

A la exploración, destacaba una catarata hipermadura, PIO de 9 mmHg y daño glaucomatoso avanzado (copa/disco 0.9).

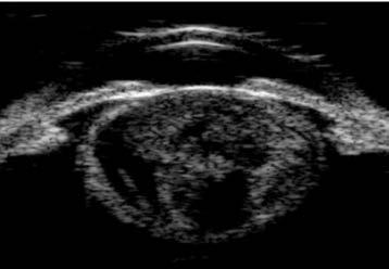
La estrategia quirúrgica se definió mediante la microscopia especular y la UBM: un RCE crítico de 997 células/mm² (Figura 3) y un cristalino de gran diámetro anteroposterior con lens vault aumentado (Figura 4).

Figura 1. Catarata hipermadura
Figura 2. Ampolla filtrante avascular y adelgazada
Figura 3. Microscopia especular preoperatoria
Figura 4. UBM mostrando catarata con aumento del diámetro AP y del lens vault

Especial Glaucoma

La decisión quirúrgica

Ante este escenario, donde la dureza nuclear y la estrechez del espacio de maniobra hacían de la facoemulsificación una opción de alto riesgo para el endotelio, se optó por una MSICS con abordaje temporal para minimizar el riesgo endotelial y proteger la ampolla filtrante superior. Se confeccionó un túnel escleral de 7 mm para una extracción del núcleo sin estrés mecánico (Figura 5). Se implantó una lente intraocular de tres piezas bajo viscoelástico y se aseguró la hermeticidad con un único punto corneoescleral (Figura 6).

Resultados y evolución

El resultado postoperatorio validó la elección de la técnica. La paciente alcanzó una mejoría visual significativa, pasando de cuenta dedos a 20/40. En el seguimiento, se observó la lente centrada, el túnel sellado y una PIO estable de 9 mmHg (Figura 7A). La ampolla filtrante permaneció funcional y sin cambios morfológicos respecto al estado preoperatorio (Figura 7B).

Conclusión

El manejo de la catarata hipermadura en un ojo con RCE bajo y una trabeculectomía previa es una cirugía de alto riesgo que demanda la máxima pericia del cirujano. El éxito depende de una planificación preoperatoria detallada, la comprensión de la anatomía alterada y el empleo de técnicas quirúrgicas que minimicen la energía ultrasónica y la manipulación endotelial, a la vez que se protege la integridad y función de la ampolla de filtración. El cuidado postoperatorio secuencial es esencial para mantener la transparencia corneal, el control de la PIO y la funcionalidad de la trabeculectomía.

Únase a Glaucoma Colombia y forme parte de una comunidad comprometida con la salud ocular y la concientización sobre el glaucoma, impulsando el cuidado ocular y la investigación. https://www.glaucomacolombia. org/membresias/

Referencias:

1. Ganekal S, Nagarajappa A. Comparison of morphological and functional endothelial cell changes after cataract surgery: Phacoemulsification versus manual small-incision cataract surgery. Middle East Afr J Ophthalmol 2014;21:56-60

2. Gogate P, Ambardekar P, Kulkarni S, Deshpande R, Joshi S, Deshpande M. Comparison of endothelial cell loss after cataract surgery: phacoemulsification versus manual small-incision cataract surgery: six-week results of a randomized control trial. J Cataract Refract Surg. 2010;36(2):247-53

3. George R, Rupauliha P, Sripriya AV, Rajesh PS, Vahan PV, Praveen S. Comparison of endothelial cell loss and surgically induced astigmatism following conventional extracapsular cataract surgery, manual small-incision surgery and phacoemulsification. Ophthalmic Epidemiol. 2005;12(5):293-7

4. Singh R, Sharma AK, Katiyar V, Kumar G, Gupta SK. Corneal endothelial changes following cataract surgery in hard nuclear cataract: Randomized trial comparing phacoemulsification to manual small incision cataract surgery. Indian J Ophthalmol 2022;70:3904-9.

5. Husain R, Liang S, Foster PJ, et al. Cataract surgery after trabeculectomy: the effect on trabeculectomy function. Arch Ophthalmol. 2012;130(2):165-170

6. Sirwardena D, Kotecha A, Minassian D, et al. Anterior chamber flare after trabeculectomy and after phacoemulsification. Br J Ophthalmol. 2000;84:1056-1057

7. Dada T, Bhartiya S, Begum Baig N. Cataract Surgery in Eyes with Previous Glaucoma Surgery: Pearls and Pitfalls. J Curr Glaucoma Pract. 2013 SepDec;7(3):99-105

Figura 5. Túnel escleral de la MSICS
Figura 6. Sutura del túnel escleral con un punto de nylon
Figura 7A. Conjuntiva temporal en el postoperatorio
Figura 7B. Ampolla filtrante posterior a MSICS
¿En qué se diferencia el glaucoma pediátrico del adulto?

Al hablar de glaucoma, la mayoría de la gente piensa en la enfermedad silenciosa y progresiva que puede deteriorar la visión y que afecta al 10 % de las personas mayores de 70 años. Pero el glaucoma también afecta a 1 de cada 5000 niños.

El glaucoma pediátrico es muy diferente del glaucoma en adultos. La elasticidad de los tejidos en pacientes jóvenes y esta elevación de presión intraocular en este periodo vital, produce una serie de efectos en ojos jóvenes que no se ven en ojos de personas de más edad. Esto conlleva cambios de estructura de por vida y produce una patología mucho más compleja que la que se ve en adultos. Mientras que en los adultos el sistema de drenaje del humor acuoso comienza a fallar tras años de funcionamiento, en los pacientes pediátricos el drenaje es defectuoso desde el inicio, por lo que los síntomas son más marcados y los tratamientos más agresivos desde etapas tempranas.

Presentación

En adultos, el glaucoma causa daño al nervio óptico; en niños, el daño se causa en prácticamente todas las estructuras del ojo. Los ojos jóvenes, sobre todo antes de los 3 años de edad, son muy elásticos así que una elevación de la presión intraocular causará daño estructural a todos los niveles. El ojo crece a mayor velocidad de lo que está preparado.

La expansión de los tejidos se manifiesta de las siguientes formas. En la córnea se producen roturas en la membrana de Descemet, conocidas como estrías de Haab, y también opacidades corneales. Esto causa lagrimeo excesivo, sensibilidad a la luz y blefarospasmo, típica triada de síntomas de glaucoma congénito. Además, el diámetro corneal y la longitud axial pueden aumentar significativamente, dando lugar al conocido ojo buftálmico. (Figura 1) El diámetro corneal de un recién nacido es de 9.5 a 10 mm. Un diámetro corneal de más de 10 mm en un recién nacido o más de 12 mm en un menor de 1 año de edad es sospechoso de glaucoma.

Dra. Elena Bitrian

También se observa adelgazamiento escleral, alargamiento de la longitud axial y miopía. El alargamiento de las zónulas puede producir su rotura y la consiguiente pérdida de soporte del cristalino, dando lugar a ectopia lentis. El iris puede presentar hipoplasia y adelgazamiento de tejido. A nivel del nervio óptico, se evidencia un aumento de la excavación que, a diferencia de lo observado en adultos, puede ser reversible tras la reducción de la presión intraocular, debido a la mayor flexibilidad de la lámina cribosa en la infancia.

Además, a diferencia de los adultos, en los niños el ojo y el sistema visual está desarrollándose y tienen riesgo de ambliopía, que es la forma más frecuente de mala visión en niños.

Los signos y síntomas varían dependiendo de la edad del niño y la magnitud y agudeza de elevación de la presión intraocular. El glaucoma suele ser silente en adultos (ladrón silente de visión), pero en niños muy a menudo es notado por los padres y familiares.

Edición n° 1 Volumen

THE DNA FOR CONFIDENT DECISIONS

Visítenos en los siguientes congresos:

• FacoCaribe en Barranquilla, Colombia

• XI Congreso Regional de Oftalmología ALACCSA-R en San Salvador, El Salvador

• Curso Regional Panamericano y Congreso Chileno de Ophthalmologia en Santiago, Chile

Figura1. El incremento de presión intraocular en ojos pediátricos puede producir una expansión de los tejidos intraoculares (a), con estrías de Haab (b) y excavación del nervio óptico.

Especial Glaucoma

Diagnóstico

Examinar a un niño en consulta puede ser mucho más difícil que examinar a un adulto y eso puede complicar el diagnóstico. La medición de presión intraocular puede estar artificialmente elevada si el niño está llorando o aguantando su respiración.

A menudo un examen bajo anestesia es necesario para medir con precisión la presión ocular y el tamaño del ojo, debido a la dificultad de evaluar a niños pequeños despiertos en consulta, pero los agentes anestésicos suelen disminuir la presión intraocular (a excepción de la ketamina, que la eleva).

Respecto a pruebas complementarias en consulta, los niños pueden ser capaces de hacer campos visuales a partir de los 7-8 años de edad. Las pruebas de diagnóstico deben ser adaptadas para niños y en ocasiones pueden hacerse tomografía de coherencia óptica, fotos de fondo de ojo o incluso ecografía ocular en consulta.

Tratamiento

El objetivo del tratamiento del glaucoma en niños no es únicamente reducir la presión intraocular, sino asegurar que todas las estructuras oculares se mantengan en condiciones óptimas para prevenir la ambliopía y el deterioro del desarrollo visual. Esto incluye la reducción de la presión intraocular para proteger el nervio óptico y evitar la expansión del globo ocular, la corrección de los errores refractivos y, cuando es necesario, el tratamiento de cataratas asociadas.

Además, cuando tratamos glaucoma pediátrico, no tratamos solo al niño, sino que la patología también afecta psicológicamente a la familia, incluyendo a los padres y hermanos.

La condición cambia con el paso del tiempo, siendo mucho más compleja que el glaucoma en adultos. La personalización del tratamiento es fundamental en estos casos, ya que el abordaje difiere de forma significativa entre un bebé de un mes de vida, un niño de cuatro años y un adolescente. A medida que el paciente crece, deben considerarse la pubertad y los cambios en la fisiología ocular. Además, en determinadas etapas pueden presentarse dificultades psicológicas y problemas de adherencia al tratamiento y al seguimiento clínico.

En adultos el tratamiento inicial del glaucoma suele ser medicaciones o láser, terapia que se escala, si no es suficiente se procede con cirugía. Pero en niños, el tratamiento inicial suele ser cirugía y las medicaciones se usan de puente hasta llegar a cirugía.

Es muy importante recordar que el uso de ciertas medicaciones difiere en niños. Por ejemplo, la brimonidina está absolutamente contraindicada en niños pequeños por ser un depresor del sistema nervioso central. Igualmente, cuando se inicie un betabloqueante en niños, se recomienda empezar con dosis de 0.25% en vez de 0.5%, para evaluar efectos y tolerancia, ya que a menudo esta dosis menor puede ser efectiva y suficiente en pacientes pediátricos.

A diferencia del adulto, el glaucoma pediátrico suele requerir cirugía como tratamiento primario en lugar de fármacos, y conlleva un mayor riesgo de ambliopía si no se diagnostica tempranamente. El tratamiento de primera línea en glaucoma pediátrico es la cirugía angular.

En los adultos, el objetivo es preservar la visión funcional durante el resto de la vida. En los niños, en cambio, se busca favorecer el desarrollo visual y maximizar el potencial visual. Cuando los pacientes con glaucoma pediátrico alcanzan la

Edición n° 1 Volumen 133

edad adulta, pueden presentar características particulares, como mayor longitud axial, miopía, adelgazamiento escleral, aumento del riesgo de desprendimiento de retina, opacidades corneales asociadas a deslumbramiento y cataratas que requieren procedimientos quirúrgicos de mayor complejidad.

Conclusión

El glaucoma en la población pediátrica es mucho más complejo que en el adulto y puede afectar a múltiples estructuras del ojo en desarrollo. Dado que se trata de pacientes jóvenes con varias décadas de vida por delante, en muchos casos se requieren múltiples intervenciones y una monitorización periódica para evitar la progresión de la enfermedad.

Además, en los niños no solo debe abordarse el control de la presión intraocular, sino también la ambliopía, las opacidades corneales y la ametropía. La reducción de la presión intraocular representa solo una parte del manejo integral del glaucoma pediátrico. Un diagnóstico y tratamiento tempranos pueden detener la progresión de la enfermedad y permitir que muchos niños se desarrollen como adultos visualmente independientes.

La cirugía filtrante en su máxima expresión

Este artículo fue publicado y traducido bajo los términos de nuestra licencia con Jobson Healthcare Information. Queda estrictamente prohibida su reproducción total o parcial.

La trabeculectomía sigue siendo una opción de tratamiento segura y eficaz para el glaucoma. A continuación, se presentan perlas quirúrgicas básicas para ayudar a obtener los mejores resultados posibles.

Para algunos profesionales de la medicina, la frase “si no está roto, no lo arregles” sigue siendo válida en su práctica. Las distintas opciones quirúrgicas para el glaucoma ilustran bien esta idea. La cirugía mínimamente invasiva de glaucoma (MIGS), los dispositivos de derivación tubular y la cirugía láser se utilizan con frecuencia en etapas tempranas; sin embargo, en algunos casos el paciente se presenta con presión intraocular (PIO) elevada y estos tratamientos no resultan opciones adecuadas para reducirla. Entonces, ¿qué alternativa queda?

Desde la década de 1960, la trabeculectomía ha sido un método probado y confiable en el arsenal de muchos cirujanos de glaucoma. Aunque el número de procedimientos realizados ha disminuido aproximadamente un 59 % desde 2011, continúa siendo una técnica segura y eficaz. De hecho, diversos estudios han demostrado que la trabeculectomía asociada a mitomicina C ofrece mejores resultados a largo plazo en comparación con la cirugía de derivación tubular. 2-4

Es probable que la frecuencia de la trabeculectomía continúe disminuyendo conforme evolucionan otras opciones terapéuticas. No obstante, para los cirujanos más jóvenes dispuestos a asumir el reto de dominar este procedimiento, existen técnicas específicas que pueden contribuir a mejorar los resultados quirúrgicos. A continuación, especialistas en glaucoma describen las estrategias fundamentales para perfeccionar la trabeculectomía.

Por Andrew Beers, editor asociado

Dominar la creación de colgajos

Los cirujanos de glaucoma familiarizados con la trabeculectomía saben que la ampolla de filtración es el componente más crítico del procedimiento, ya que permite la filtración y, en consecuencia, la reducción de la PIO. Antes de crear la ostomía, deben realizarse colgajos conjuntivales y esclerales con el fin de posicionar adecuadamente la ampolla. Existen dos tipos principales de peritomía: basada en el fórnix y basada en el limbo. Asimismo, los colgajos esclerales pueden variar en forma y tamaño. Cada método tiene ventajas y desventajas que dependen del equipo disponible y de la experiencia del cirujano.

La Dra. Rachel G. Simpson, especialista en glaucoma del University of Utah Health System, señala que prefiere realizar colgajos basados en el fórnix, ya que permiten un mejor flujo posterior, lo cual resulta deseable en la trabeculectomía. Aunque este abordaje requiere un cierre más meticuloso, ofrece una excelente exposición anatómica.

“No observo desventajas reales en la realización de colgajos conjuntivales basados en el fórnix y, de hecho, considero que ofrecen varias ventajas”, señala James Tsai, MD, especialista en glaucoma y presidente de la New York Ear and Eye Infirmary of Mount Sinai.

“Una de ellas es que el cirujano no requiere un asistente quirúrgico entrenado. En contraste, con los colgajos basados en el limbo, la disección se realiza tan posteriormente que con frecuencia se necesita un asistente experimentado. Si el cirujano opera en un centro médico académico con residentes y fellows, los colgajos limbares son sin duda una opción válida. Sin embargo, en la práctica privada y/o cuando se opera sin asistencia, el colgajo conjuntival basado en el fórnix resulta mucho más sencillo de realizar.

Considero que otra ventaja de este abordaje es su utilidad cuando se emplea anestesia tópica subconjuntival y subtenoniana. En estos casos, es mucho más fácil lograr que la anestesia subtenoniana se dirija hacia planos posteriores al realizar un colgajo basado en el fórnix; basta con disecar el colgajo posteriormente para facilitar la adecuada distribución del anestésico en el fondo de saco”.

Por su parte, el Dr. Reza Razeghinejad, del Wills Eye Hospital de Filadelfia, destaca que una ventaja de los colgajos basados en el limbo es la menor incidencia de filtraciones tempranas en el posoperatorio. Sin embargo, estos colgajos suelen asociarse con ampollas de mayor tamaño, lo que puede favorecer la desecación, la disestesia y un mayor riesgo de infección.

Tras la peritomía, el siguiente paso es la creación del colgajo escleral. La forma y el tamaño no parecen influir de manera significativa en los resultados, siempre que el cirujano tenga la habilidad para suturarlo adecuadamente. Por ello, se recomienda perfeccionar la técnica con el tipo de colgajo con el que se tenga mayor experiencia.

“Recomendaría a los cirujanos dominar una sola forma de colgajo, en lugar de cambiar constantemente entre distintos abordajes”, señala Jonathan S. Myers, MD, especialista en glaucoma y jefe del Servicio de Glaucoma del Wills Eye Hospital, quien prefiere el colgajo escleral de forma cuadrada.

“Parte de la razón por la que me inclino por esta forma es que, en los casos rutinarios, es posible colocar una sutura en cada una de las dos esquinas posteriores y, si posteriormente se realiza una lisis de sutura con láser en la esquina temporal, esto puede favorecer la formación de una ampolla más posterior y temporal. Intento evitar las ampollas nasales debido a su mayor riesgo de disestesia”.

De manera similar al método del Dr. Myers, el Dr. Tsai realiza un colgajo rectangular. Ambos consideran que este diseño es considerablemente más fácil de ejecutar y suturar en comparación con el colgajo triangular, el cual ofrece menor margen de maniobra durante la sutura debido a su área limitada.

“Realizo un colgajo rectangular de tres por 2,5 milímetros a nivel del limbo», explica el Dr. Tsai. «Practico incisiones esclerales de espesor parcial perpendiculares al limbo circunferencial y avanzo aproximadamente 2,5 milímetros en sentido posterior; las incisiones se realizan de forma paralela, separadas entre sí por tres milímetros. Posteriormente, completo el colgajo rectangular conectando los bordes posteriores. En el caso de un colgajo triangular con una base de tres milímetros en el limbo, es necesario disecarlo con precisión para que el vértice quede aproximadamente 2,5 milímetros por detrás del limbo”.

El abordaje de la Dra. Simpson es ligeramente distinto, ya que emplea un colgajo de forma trapezoidal. No obstante, su principal énfasis al crear el colgajo escleral no radica en la forma, sino en la precisión de las líneas de disección. “Diría que la forma es menos relevante que lograr planos de disección limpios”, afirma. “Es fundamental que las líneas sean simétricas y regulares, evitando superficies irregulares. Cuantos más planos tisulares se generen, mayor será la tendencia del colgajo escleral a cicatrizar”.

Especial Glaucoma

Estandarización de la ostomía

Los doctores Myers, Razeghinejad, Simpson y Tsai han sustituido el uso de cuchillas, que empleaban previamente, por el dispositivo Kelly Descemet Punch para la creación de la ostomía. Si bien múltiples compañías oftalmológicas han desarrollado sus propias versiones de esta herramienta, su diseño es sencillo y permite obtener ostomías de tamaño estandarizado, como señala el Dr. Simpson.

“En cada procedimiento se obtiene aproximadamente el mismo tamaño de ostomía”, afirma el Dr. Simpson. “Cuanta mayor previsibilidad se logre incorporar a este tipo de cirugía, mejores serán los resultados, especialmente considerando la cantidad de variables que resultan difíciles de anticipar”.

No obstante, el uso del Kelly Descemet Punch requiere cierta curva de aprendizaje. “En cirujanos con poca experiencia con este instrumento, al activar el dispositivo la punta puede desplazarse más de lo esperado”, explica el Dr. Myers. “Por ello, es fundamental controlar la punta durante su accionamiento para evitar afectar el iris u otras estructuras que no requieren intervención. Sin embargo, en cirujanos con experiencia, esta dificultad se supera con relativa facilidad”.

El Dr. Razeghinejad señala que, en ausencia de este dispositivo, prefiere utilizar una cuchilla muy afilada o tijeras de Vannas. “Realizar el corte dirigido hacia la esclerótica puede incrementar el riesgo de sangrado del tejido uveal o provocar inadvertidamente una hendidura de ciclodiálisis. Para minimizar estos riesgos, resulta más seguro crear la ostomía a nivel del limbo, ligeramente desplazada hacia la córnea”.

Aspectos técnicos de la sutura

Según refieren los cirujanos, las suturas liberables resultan especialmente útiles en pacientes con Tenon engrosado, en pacientes poco cooperadores o cuando no se dispone de lisis de sutura con láser. Foto: Reza Razeghinejad, MD.

A continuación, se procede a la sutura de los colgajos esclerales y conjuntivales. Por lo general, se emplean materiales distintos para cada uno: suturas de nailon para la esclerótica y suturas de Vicryl para la conjuntiva.

“Utilizo nailon 10-0 para la sutura del colgajo escleral, que puede liberarse mediante lisis de sutura con láser si es necesario”, señala el Dr. Myers. “En algunos pacientes con Tenon y conjuntiva muy gruesos, o con riesgo de sangrado, y cuando existe preocupación sobre la posibilidad de realizar lisis con láser, prefiero colocar una sutura externa liberable con nailon 10-0. Esta consiste esencialmente en un lazo unilateral en el lado escleral, lo que permite liberar la sutura desde el lado corneal. Su liberación es sencilla".

Dispositivo Kelly Descemet Punch utilizado para crear la ostomía. Foto: Dr. Reza Razeghinejad.

La Dra. Simpson adopta un enfoque similar para la sutura escleral, aunque utiliza un material con distinta resistencia tensil y diámetro. “Empleo nailon 9-0 para fijar el colgajo escleral y recurro posteriormente a la lisis de sutura con láser de argón si tengo previsto seccionar las suturas”, explica. “La única excepción es cuando realizo este procedimiento en pacientes muy jóvenes, con Tenon particularmente robusto o que se muestran muy aprensivos en la lámpara de hendidura; en esos casos, utilizo suturas liberables”.

En relación con el cierre de la peritomía, el Dr. Tsai prefiere utilizar una sutura que no requiera ser retirada, con el fin de no alterar la herida quirúrgica. “El Vicryl monofilamento 9-0 es una sutura absorbible con un tiempo de absorción predecible”, comenta. “Me agrada emplear Vicryl monofilamento 9-0 porque, cuando se absorbe completamente entre cuatro y seis semanas después, la herida presenta una cicatrización adecuada”.

“Utilizo suturas Vicryl 9-0 para realizar una sutura continua en un colgajo conjuntival modificado basado en el fórnix, confeccionado a 1,5 milímetros por detrás del limbo quirúrgico. Con un reborde conjuntival de 1,5 milímetros desde el limbo, es posible realizar una sutura continua de conjuntiva a conjuntiva. Para evitar que esta se afloje o se deshaga, entrelazo uno de cada dos puntos conjuntivales. Al finalizar el procedimiento, si identifico riesgo potencial de fuga, coloco suturas discontinuas adicionales con Vicryl 9-0”.

Predicción de los resultados de la trabeculectomía mediante inteligencia artificial

“Existen aplicaciones particularmente interesantes de la inteligencia artificial en la trabeculectomía”, señala James Tsai, MD, especialista en glaucoma y presidente de la New York Ear and Eye Infirmary of Mount Sinai. ¿De qué manera se integra la inteligencia artificial con la trabeculectomía? Tres estudios publicados entre 2022 y 2024 ilustran cómo la IA puede resultar valiosa para la predicción de los resultados quirúrgicos, contribuyendo a optimizar la atención de los pacientes.

En 2022, investigadores de la Facultad de Medicina de la Universidad de Virginia Occidental desarrollaron múltiples modelos de aprendizaje automático para predecir los resultados de la trabeculectomía.⁵ El equipo analizó datos de 230 cirugías, de las cuales 104 casos fueron exitosos y 126 fracasaron al cabo de un año. Tras entrenar los distintos modelos, se evaluó su capacidad para identificar correctamente los casos exitosos y fallidos. El modelo de bosque aleatorio (random forest) fue el que mostró la mayor precisión, con un valor de 0,68 sobre 1,00.

En 2023, investigadores italianos realizaron un estudio en el que utilizaron modelos de IA para predecir los resultados de la trabeculectomía a partir de mediciones oculares.⁶ Además de registrar las tasas de éxito y fracaso en 102 casos (60,8 % de éxito y 39,2 % de fracaso), el equipo recopiló datos de imágenes de tomografía de coherencia óptica (OCT). El grosor y la reflectividad del estroma conjuntival, junto con la edad de los pacientes, fueron factores clave que permitieron al modelo de árbol de clasificación predecir los resultados de la cirugía filtrante con buena precisión.

En 2024, investigadores de la India desarrollaron tres modelos de aprendizaje automático para evaluar los resultados a cinco años de trabeculectomías realizadas en pacientes con glaucoma juvenil de ángulo abierto.⁷ Aunque se analizaron múltiples variables, los principales factores predictivos fueron la edad al momento del diagnóstico, la PIO basal preoperatoria, la duración del tratamiento médico previo, el grosor de la cápsula de Tenon, la técnica de fistulación escleral y el uso intraoperatorio de mitomicina

C. Todos los modelos alcanzaron una precisión superior al 86 % al determinar la probabilidad de éxito o fracaso quirúrgico.

Manejo farmacológico perioperatorio

Los pacientes con glaucoma suelen recibir algún tipo de tratamiento farmacológico antes de la trabeculectomía. En determinados casos, puede ser conveniente suspender parte de este tratamiento previo a la cirugía con el objetivo de reducir el riesgo de inflamación e irritación conjuntival severa.

“En aquellos pacientes en los que la suspensión del tratamiento no implica un riesgo significativo, procuro interrumpir los fármacos potencialmente inflamatorios o irritantes para la conjuntiva una semana antes de la cirugía», comenta el Dr. Myers. “Inicio prednisolona cuatro veces al día una semana antes de la trabeculectomía. Los productos que contienen brimonidina son, con frecuencia, los que más irritación conjuntival producen y cuya suspensión puede beneficiar el resultado quirúrgico”.

En otros casos, puede ser preferible establecer un régimen previo a la cirugía para preparar adecuadamente la superficie ocular. En la práctica de la Dra. Simpson, los médicos suelen indicar colirios específicos, esteroides y tratamientos tópicos con el fin de disminuir el riesgo de inflamación e irritación severas.

Especial Glaucoma 16

“Me gusta optimizar la superficie conjuntival y la superficie ocular tanto como lo permita la seguridad del paciente”, señala la Dra. Simpson. “En aquellos pacientes cuya cirugía está programada con varias semanas de anticipación, intento preparar la superficie ocular. Esto suele incluir el uso intensivo de lágrimas artificiales, compresas tibias y, en algunos casos, el inicio precoz de esteroides tópicos para controlar la inflamación. Sin embargo, muchos pacientes requieren una trabeculectomía en un plazo corto, lo que limita la posibilidad de suspender los colirios. En estos casos, priorizo el uso de esteroides y la optimización de la superficie ocular con lágrimas artificiales, sin centrarme tanto en la suspensión del tratamiento previo”.

Durante la cirugía, se emplean antimetabolitos para reducir el riesgo de fracaso de la ampolla de filtración. La mitomicina C puede administrarse mediante esponjas o por inyección, mientras que el 5-fluorouracilo (5-FU) puede inyectarse de forma intraoperatoria o en el posoperatorio temprano.

“En prácticamente todos los casos que realizo, los pacientes reciben mitomicina C”, afirma el Dr. Myers. “Habitualmente la administro mediante una inyección antes de iniciar la fase incisional de la cirugía, utilizando una aguja de calibre 30 en la conjuntiva. Generalmente, la mitomicina C se mezcla con lidocaína al 1 % sin conservadores. Utilizo una concentración de 0,4 mg/mL y la diluyo en proporción 1:1 o 2:1 con lidocaína al 1 %».

Por el contrario, la Dra. Simpson y el Dr. Tsai prefieren emplear mitomicina C mediante esponjas. La Dra. Simpson explica: “Utilizo habitualmente una concentración de 0,2 mg/mL, salvo en pacientes muy jóvenes o con pigmentación marcada, en quienes empleo 0,4 mg/mL. Impregno las esponjas y las coloco entre la conjuntiva y la esclerótica durante dos minutos. Además, inyecto una pequeña cantidad adicional de mitomicina C en una localización más posterior mediante un angiocatéter. El remanente de mitomicina tras impregnar las esponjas se inyecta posteriormente, antes de recolocar las esponjas durante dos minutos”.

El Dr. Tsai recomienda el uso de 5-FU en el postoperatorio en casos de encapsulación de la ampolla. “Si la ampolla se encapsula o presenta una cicatrización excesiva, recurro a inyecciones subconjuntivales de 5-FU en el posoperatorio”, señala. “Administro las inyecciones de forma semanal y limito su número a un máximo de tres a cinco aplicaciones, dado el potencial de toxicidad corneal del 5-FU. La inyección se realiza aproximadamente a 90 grados de la zona de la ampolla filtrante, y antes de cada nueva aplicación verifico la ausencia de toxicidad epitelial corneal”.

Tras la trabeculectomía, los cirujanos mantienen sus esquemas farmacológicos habituales para favorecer la cicatrización y reducir el riesgo de complicaciones.

“Después de la cirugía, indico la suspensión temporal de la medicación antiglaucomatosa y solicito a la farmacia la preparación de dexametasona sin conservadores”, explica la Dra. Simpson. “Durante las primeras semanas, utilizamos dexametasona sin conservadores de forma intensiva, aproximadamente cada dos horas, y posteriormente reintroducimos la medicación según sea necesario. Si la PIO se eleva en las primeras semanas, prefiero realizar una lisis de sutura antes de reiniciar el tratamiento médico. Solo mantengo la medicación cuando sé que el colgajo ha quedado completamente hermético y que la PIO será elevada hasta poder liberarlo; en esos casos, puede utilizarse de forma transitoria supresión del humor acuoso”.

Los cirujanos consultados esperan que estas perlas quirúrgicas sirvan de guía a los especialistas en glaucoma que se inician en la trabeculectomía y buscan familiarizarse con el procedimiento. En última instancia, este tratamiento tradicional sigue siendo una herramienta valiosa que, en el momento adecuado, puede marcar la diferencia. “Si desea mejorar en la trabeculectomía”, concluye la Dra. Simpson, “es fundamental revisar los propios videos quirúrgicos, intercambiar experiencias con colegas, aprender de sus técnicas y analizar de forma crítica los resultados para lograr una mejora continua”.

Los doctores Simpson, Tsai, Razeghinejad y Myers declaran no tener conflictos de interés financieros relevantes.

Referencias:

1. Beers, A. (n.d.). Filtering surgery at its finest. Review of Ophthalmology. https://www.reviewofophthalmology.com/article/filtering-surgery-at-its-finest

2. Jayaram RH, Maheshwari A, Sarrafpour S, et al. Trends for glaucoma surgeries in the United States from 2011 and 2021—a national study. Invest Ophthalmol Vis Sci 2024;65:7:4641.

3. Gedde SJ, Chen PP, Heuer Dk, et al. The primary tube versus trabeculectomy (PTVT) study: Methodology of a multicenter randomized clinical trial comparing tube shunt surgery and trabeculectomy with mitomycin C. Ophthalmology 2017;125:5:774-781.

4. Gedde SJ, Feuer WJ, Lim KS, et al. Treatment outcomes in the primary tube versus trabeculectomy study after 3 years of follow-up. Ophthalmology 2020;127:3:333-345.

5. Gedde SJ, Feuer WJ, Lim KS, et al. Treatment outcomes in the primary tube versus trabeculectomy study after 5 years of follow-up. Ophthalmology 2022;129:12:1344-1356.

6. Banna HU, Zanabli A, McMillan B, et al. Evaluation of machine learning algorithms for trabeculectomy outcome prediction in patients with glaucoma. Sci Rep 2022;12:2473.

7. Agnifili L, Figus M, Porreca A, et al. A machine learning approach to predict the glaucoma filtration surgery outcome. Sci Rep 2023;13:18157.

8. Birla S, Varshney T, Singh A, et al. Machine learning-assisted prediction of trabeculectomy outcomes among patients of juvenile glaucoma by using 5-year follow-up data. Indian J Ophthalmol 2024;72:7:987-993.

¿Pueden los pacientes con glaucoma recibir lentes intraoculares premium?

Por Christine Yue, editora asociada sénior

Este artículo fue publicado y traducido bajo los términos de nuestra licencia con Jobson Healthcare Information. Queda estrictamente prohibida su reproducción total o parcial.

La tecnología avanzada en lentes está ampliando el grupo de pacientes premium. A continuación, se ofrece orientación para los casos de glaucoma.

A la hora de considerar los lentes intraoculares premium para pacientes con glaucoma y sospechosos de padecerlo, la decisión suele depender de la gravedad de la enfermedad. Ciertas opciones premium pueden exacerbar los síntomas visuales preexistentes. Por ello, los oftalmólogos deben determinar la lente más adecuada en cada caso, sopesando tanto las preocupaciones visuales como las relacionadas con el glaucoma. Aquí, los expertos debaten las opciones de LIO que consideran en estos casos y cómo explican a los pacientes las limitaciones relacionadas con el glaucoma.

Factores clínicos

Al evaluar si un sospechoso o paciente de glaucoma es un candidato adecuado para un lente intraocular premium, los oftalmólogos deben considerar cuidadosamente una serie de factores clínicos que pueden afectar tanto a la seguridad como a la eficacia de la implantación del lente.

“Los factores principales que evalúo son la fase del glaucoma, el estado del campo visual y la trayectoria de la progresión de la enfermedad”, afirma Constance Okeke, doctora en Medicina, máster en Ciencias de la Ingeniería y Cirugía, de Virginia Eye Consultants en Norfolk, y profesora adjunta de Oftalmología en la Eastern Virginia Medical School. “Los pacientes con glaucoma leve o moderado bien controlado, sin pérdida del campo visual central y con buena sensibilidad al contraste pueden considerarse candidatos. También evalúo la salud de la superficie ocular, la anato-

mía de la pupila y si el paciente es candidato para una cirugía mínimamente invasiva de glaucoma (MIGS), ya que combinar la MIGS con la cirugía de cataratas puede reducir la presión intraocular, disminuir la carga de medicación y mejorar la superficie ocular, lo que mejora los resultados con lentes intraoculares de tecnología avanzada.

“En los casos de sospecha de glaucoma, evalúo el estado del nervio óptico, los resultados de la OCT y los factores de riesgo, como la edad, la presión intraocular y los antecedentes familiares”, continúa. “Aunque no utilizo habitualmente un sistema de puntuación específico, sí empleo un enfoque de evaluación de riesgos integral. Si no hay pérdida del campo visual y el riesgo de progresión es bajo, estoy más dispuesta a ofrecer lentes multifocales, trifocales o EDOF, especialmente cuando se combinan con un asesoramiento adecuado. La sensibilidad al contraste y las necesidades de conducción nocturna también forman parte de la conversación”.

Ciertas condiciones clínicas impiden el uso de LIO premium en pacientes con glaucoma. La Dra. Okeke afirma que considera las siguientes contraindicaciones absolutas:

Glaucoma avanzado con pérdida significativa del campo central.

• PIO no controlada o alto riesgo de progresión.

• Carga farmacológica elevada sin control quirúrgico.

• Superficie ocular deficiente que no responde al tratamiento.

• Anomalías pupilares o zonulares que limitan la centración o el rendimiento de la lente.

Uno de los principales retos a la hora de considerar la implantación de LIO premium en pacientes con glaucoma es la falta de herramientas clínicas que permitan predecir de forma fiable qué personas sufrirán una progresión rápida o desarrollarán una enfermedad grave, explica la Dra. Shivani Kamat, profesora asociada de oftalmología y directora de la beca de investigación sobre glaucoma del Centro Médico UT Southwestern de Dallas. “Podemos saber si el glaucoma de un paciente está progresando”, afirma, “pero aún no disponemos de una forma consistente de identificar quiénes pueden acabar padeciendo una enfermedad más avanzada en el futuro”.

“Consideraría un lente premium en un caso de glaucoma sospechoso o en un paciente con hipertensión ocular, es decir, alguien que no tiene pérdida del campo visual, pero incluso en ese caso, tiendo a ser cautelosa”, continúa. “Ejerzo en un entorno académico y muchos de mis pacientes padecen enfermedades muy graves. He atendido a pacientes que buscaban una segunda opinión, que padecían una enfermedad moderada y a los que se les había implantado un lente multifocal, pero que tenían importantes problemas de sensibilidad al contraste. Por eso, tiendo a ser más cautelosa incluso con los casos leves o moderados.

Figura 1. Fotografía del nervio óptico de un paciente con glaucoma de ángulo abierto leve y campos visuales casi normales. La agudeza visual inicial era de 20/40 OU. Fotografía: Constance Okeke, MD.

Especial Glaucoma

Figura 2. El paciente de la figura 1 se sometió a una cirugía combinada de cataratas y MIGS con implantación de PanOptix y goniotomía Streamline. La agudeza visual postoperatoria mejoró a 20/20 en distancia e intermedia, y a J1+ en cerca. La PIO fue de 14 y 12 mmHg con un objetivo de 15 mmHg. La carga de gotas se redujo de tres medicamentos a uno. Foto: Constance Okeke, MD.

Figura 3. Un ejemplo de un mal candidato para un LIO multifocal. El ojo derecho de este paciente está bastante sano, mientras que el izquierdo presenta una enfermedad significativa. Aunque el ojo derecho está más sano y no presenta pérdida del campo visual, los expertos afirman que existe la preocupación de que acabe como el otro ojo y tenga problemas en el futuro. Fotos: Shivani Kamat, MD.

Creo que si tuviéramos una forma fiable de predecir qué pacientes van a progresar rápidamente, me sentiría más cómoda recomendando lentes intraoculares premium a aquellos con una enfermedad leve”.

Investigaciones recientes han explorado el uso de la inteligencia artificial para predecir mejor la progresión del glaucoma, un avance que algún día podría ayudar a identificar de forma más fiable a los pacientes con progresión rápida. Varios estudios se muestran prometedores para su futura aplicación clínica, pero ahora se enfrentan a limitaciones clave, como las diferencias en los conjuntos de datos y las metodologías, y la falta de una definición estandarizada de la progresión.

Opciones de lentes

Al considerar los LIO premium para pacientes con glaucoma o sospechosos de padecerlo, los oftalmólogos sopesan los posibles beneficios de las tecnologías avanzadas de lentes frente a los riesgos específicos asociados a la enfermedad.

Nikola Ragusa, MD, de Ophthalmic Consultant of New York en Astoria, explica que “si un paciente tiene una enfermedad leve con campos completos, o si se sospecha que tiene glaucoma o hipertensión ocular, la elección de la LIO varía mucho más que si el paciente tuviera una enfermedad de moderada a grave”.

Cuando los pacientes tienen pérdida del campo visual, su sensibilidad al brillo, al color y al contraste se ve disminuida, por lo que debemos tener cuidado con las lentes que seleccionamos y evitar darles una LIO que divida la luz.

“Para los pacientes con glaucoma moderado a grave, las lentes multifocales no suelen ser la mejor opción”, continúa. “Pueden reducir la sensibilidad al contraste y causar problemas de deslumbramiento o halos, especialmente si el paciente también tiene astigmatismo o problemas en la superficie ocular. Esto es especialmente problemático para los pacientes con glaucoma, que pueden tener ya una sensibilidad al contraste, un brillo y una percepción del color disminuidos debido al daño del nervio óptico.

“Tampoco consideraría los LIO acomodativos para estos pacientes”, afirma el Dr. Ragusa. “Por otro lado, los lentes tóricos son una buena opción, ya que ayudan a enfocar la luz de forma más eficaz en la retina; cualquier cosa que enfoque mejor la luz en la retina es beneficiosa para estos pacientes. También considero tecnologías más novedosas, como las lentes de profundidad de enfoque extendido”.

“A un paciente con sospecha de glaucoma o hipertensión ocular, le ofreceré todas las opciones, incluidas las lentes EDOF, ya que la sensibilidad al contraste se ve menos afectada con estas lentes”, afirma la Dra. Kamat. “Recomiendo un

monofocal en casos de glaucoma moderado a grave. No pondría un multifocal en estos pacientes debido al impacto en la sensibilidad al contraste.

“Considero que la enfermedad leve es una zona un poco gris”, continúa. “Creo que requiere un consentimiento informado muy exhaustivo y un debate sobre los riesgos y beneficios asociados a los lentes. Esto es cierto en cualquier situación, pero especialmente si se está considerando un multifocal en alguien que padece una enfermedad conocida. Incluso en la enfermedad leve, no sabemos realmente quiénes son los pacientes con progresión rápida y quiénes tendrán una enfermedad moderada o grave a lo largo de su vida”.

La Dra. Okeke afirma que “se inclina claramente por los lentes de profundidad de enfoque ampliada, especialmente los diseños no difractivos como Vivity, que conservan la sensibilidad al contraste y ofrecen una buena visión intermedia y funcional de cerca. Estos lentes estiran y desplazan la luz en lugar de dividirla, lo que ayuda a minimizar las disfotopsias, un factor crítico en los pacientes con glaucoma, que a menudo ya tienen una sensibilidad al contraste reducida”. Suelen tolerarse mejor, incluso en casos de glaucoma moderado, siempre que los campos visuales sean estables y la PIO esté bien controlada.

“En determinados pacientes, especialmente en los ávidos lectores o en aquellos que desean un mayor grado de independencia de las gafas en la visión de cerca, también ofrezco un enfoque de mini monovisión utilizando lentes intraoculares Eyhance”, continúa. “Esta lente tiene cualidades mejoradas de profundidad de enfoque, y normalmente apunto a plano en el ojo dominante y de -0,50 a -0,75 D en el ojo no dominante. La calidad del contraste con Eyhance es excelente, y esta estrategia proporciona un rango de visión más suave que a menudo reduce o elimina la necesidad de gafas de lectura. Eyhance en mini-monovisión puede ser una opción satisfactoria para pacientes con altas exigencias de lectura”.

“Si un paciente tiene un glaucoma pre perimétrico leve que se puede controlar fácilmente y los resultados de la córnea y la retina son buenos, los LIO trifocales de PanOptix también pueden ser una buena opción para un paciente con glaucoma leve” añade. “En última instancia, la selección de lentes es muy personalizada, pero yo prefiero los LIO que preservan el contraste y minimizan las alteraciones visuales, especialmente en una población con glaucoma, donde cada detalle de la visión funcional cuenta”.

La Dra. Okeke señala que “siempre que haya una buena visión central, cualquier paciente con glaucoma en cualquier estadio puede ser un buen candidato para la corrección del astigmatismo cuando se busca reducir la dependencia de las gafas para ver de lejos”.

Figura 4. Paciente con hipertensión ocular sin daño en el nervio óptico. Este paciente es candidato para una LIO multifocal. Fotos: Shivani Kamat, MD.

Especial Glaucoma 22

Aunque muchos pacientes con glaucoma tienen opciones limitadas de LIO, la Dra. Kamat afirma que analiza todas las opciones de LIO con sus pacientes con glaucoma moderado a grave, aunque normalmente no recomienda lentes premium. “Con el tiempo, he aprendido que los pacientes merecen conocer todas sus opciones y siempre quiero que se sientan plenamente informados”, afirma. “En algunos casos, puedo ofrecer opciones como la monovisión, aunque la mayoría de los pacientes no eligen esa opción en mi consulta. Si están interesados, suelo hacerles probar primero con lentes de contacto, ya que he tenido casos en los que los pacientes no estaban contentos y necesitaban un cambio”.

Consideraciones clave para implantar lentes intraoculares premium en pacientes con glaucoma

A la hora de considerar lentes intraoculares premium para pacientes con glaucoma, es fundamental equilibrar la mejora de la visión con un cuidado minucioso de la salud ocular. Las siguientes directrices de Constance Okeke, doctora en Medicina y máster en Ciencias de la Educación, de Virginia Eye Consultants en Norfolk, describen lo que se debe y no se debe hacer para garantizar los mejores resultados.

Qué hacer

• Evaluar minuciosamente los campos visuales y la salud del nervio óptico.

• Establecer expectativas realistas con respecto a la independencia de las gafas.

• Optimizar la superficie ocular antes de la operación (por ejemplo, tratar la MGD).

• Considerar la posibilidad de combinarlo con MIGS para un mejor control de la PIO y menos gotas.

Qué no hacer

• Implantar LIO multifocales en pacientes con pérdida del campo visual central, baja sensibilidad al contraste o glaucoma avanzado.

• Olvidar evaluar los problemas anatómicos (por ejemplo, inestabilidad zonular, pupilas pequeñas).

• Prometer resultados excesivos en pacientes con una progresión imprevisible de la enfermedad.

Establecer expectativas

Al discutir las opciones de lentes con los pacientes con glaucoma, los expertos afirman que es fundamental establecer expectativas realistas sobre las limitaciones y los posibles resultados de los lentes disponibles, dada la naturaleza de la enfermedad glaucomatosa. “Es especialmente importante explicar todo por adelantado a los pacientes con glaucoma, incluso más que en los casos típicos de cataratas”, afirma el Dr. Ragusa. “Necesitan conocer la gravedad de su glaucoma, cómo afecta a su visión y el objetivo de la cirugía. Asegurar-

se de que las expectativas del paciente se ajustan a lo que intentamos conseguir es clave para obtener un resultado satisfactorio”.

Explicar visualmente a los pacientes el estado de su enfermedad puede ayudar a debatir las opciones de lentes. El Dr. Okeke utiliza informes del campo visual e imágenes OCT para hacerlo. “Insisto en que la pérdida del campo visual no se puede corregir con ninguna LIO y que los lentes premium mejoran la calidad de la visión, no la salud del nervio óptico. A los pacientes sospechosos les explico la posibilidad de progresión y la necesidad de un seguimiento continuo, al tiempo que les ofrezco opciones de lentes más flexibles con la precaución adecuada”.

Dependiendo de la gravedad del glaucoma, hay un límite en cuanto a la mejora de la visión del paciente. “Algunos de mis pacientes con glaucoma grave han notado sus defectos relacionados con el glaucoma con mayor claridad después de la cirugía de cataratas, lo que puede resultar desconcertante y molesto para el paciente, por lo que siempre hablo de ello con antelación”, señala el Dr. Kamat. “Hago hincapié en que haremos todo lo posible por mejorar su visión, pero nunca prometo una visión 20/20, especialmente en los casos graves. Me aseguro de establecer expectativas realistas, porque creo que una comunicación clara desde el principio hace que el período posoperatorio sea mucho más llevadero”.

Contratiempos posoperatorios

Una preocupación común para los pacientes con glaucoma después de la cirugía de cataratas es el desarrollo de trastornos visuales, que pueden ser más pronunciados dependiendo del tipo de lente implantado.

“Las molestias visuales pueden incluir deslumbramiento o halos, especialmente con lentes multifocales, aunque mucho menos con lentes intraoculares EDOF”, afirma el Dr. Okeke.

El tratamiento de los pacientes con glaucoma después de la operación también requiere prestar mucha atención a las posibles complicaciones que pueden surgir con mayor frecuencia en esta población. “Algunos pacientes tienden a ser más sensibles a los esteroides posoperatorios y requieren una vigilancia más estrecha”, afirma el Dr. Ragusa. “Las fluctuaciones de presión pueden ser más impredecibles, especialmente cuando se combina la cirugía de ángulo con lentes premium. Recientemente tuve un paciente que tenía la presión bien controlada a 8 mmHg sin gotas durante dos meses, pero volvió con una presión de 40, aparentemente de la noche a la mañana. Es posible que se haya desarrollado tejido cicatricial debido a la cirugía de ángulo. Ahora tenemos que controlar su presión de nuevo con medicamentos tópicos. Estos pacientes simplemente necesitan un seguimiento más sensible y frecuente”.

Edición n° 1 Volumen

“Según mi experiencia, combinar ATIOL con procedimientos MIGS ayuda a mitigar los picos de presión al reducir la PIO y la dependencia de medicamentos que pueden exacerbar la enfermedad de la superficie ocular, lo que a su vez mejora la comodidad visual y los resultados”, afirma el Dr. Okeke.

El Dr. Ragusa añade que “los pacientes con pseudoexfoliación, que es común en mi población de pacientes con glaucoma, pueden experimentar una subluxación del cristalino con el tiempo, lo que puede afectar gravemente a la visión, incluso si el cristalino solo está ligeramente descentrado. Esta es otra razón por la que, para la mayoría de estos pacientes, los lentes monofocales o tóricos suelen ser la mejor opción”.

Mirando hacia el futuro

A medida que la tecnología y la investigación continúan avanzando, los pacientes con glaucoma pueden tener acceso a una selección más amplia de opciones de lentes premium. La investigación en curso bajo la iniciativa AGE (Advocates for Glaucoma Education) del Dr. Okeke, cuyo objetivo es crear

conciencia sobre el glaucoma y promover la detección y el tratamiento tempranos, está evaluando los resultados visuales y de la PIO en pacientes con glaucoma sometidos a implantes de ATIOL, tanto con cómo sin MIGS simultáneo.

“Los primeros datos muestran que los lentes EDOF, en particular los diseños no difractivos, ofrecen resultados visuales favorables con menos disfotopsias y conservan mejor el contraste que las opciones multifocales”, afirma el Dr. Okeke. “A medida que recopilemos más datos a largo plazo, especialmente en pacientes con glaucoma moderado, es posible que veamos una mayor aceptación y unas directrices más refinadas para el uso de ATIOL en esta población”.

El Dr. Ragusa y el Dr. Kamat no tienen declaraciones financieras relacionadas. El Dr. Okeke declara relaciones financieras con Glaukos, New World Medical, Sight Sciences, Alcon, Bausch + Lomb, Allergan/AbbVie y Nova Eye Medical.

Review of Ophthalmology. (s. f.). Can glaucoma patients get premium IOLs? https://www.reviewofophthalmology.com/article/can-glaucoma-patients-get-premium-iols

¿Cuándo y cómo hacer cirugía combinada de cataratas y glaucoma?

Dr. Francisco Otárola.

Prof. Adjunto Oftalmología Universidad de la Frontera, Temuco, Chile Centro de la Visión, Santiago de Chile. Clínica Oftamédica, Temuco, Chile.

Dra. Isabella Monsalve. Fellow de Glaucoma Clínica Oftamédica –Universidad de la Frontera, Temuco, Chile.

Este artículo salió en el Noticiero #73 noviembre - diciembre y se publico con el permiso de ALACCSA - R. Su reproducción está prohibida. Para más información sobre el noticiero visite la página web www.alaccsa.com

Introducción

Cataratas y glaucoma frecuentemente coexisten en la población mayor y pueden influenciar el uno al otro. (1)

La extracción de cristalino por sí sola produce reducción de la presión intraocular tanto en pacientes con glaucoma de ángulo abierto como de ángulo cerrado.(2)

Considerando que cataratas y glaucoma son las causas más importantes de pérdida de visión a nivel mundial, un procedimiento combinado ofrece una oportunidad para tratar ambos de forma simultánea, no obstante, no existe consenso en el tratamiento de estos pacientes.

Los factores que influyen en esta decisión incluyen el estado del ángulo iridocorneal, la presión intraocular, la severidad del glaucoma, la historia quirúrgica, la adherencia a tratamiento, tolerabilidad, la morbilidad y edad del paciente. (3)

Dr. Francisco Otárola

Glaucoma de ángulo abierto

En el contexto de un paciente con glaucoma avanzado o refractario que requiere una intervención para glaucoma y además se presenta con catarata visualmente significativa está la disyuntiva de qué procedimiento realizar primero.

La cirugía de catarata por sí sola potencialmente puede reducir la presión intraocular hasta en un 13% al año de la facoemulsificación en pacientes con glaucoma de ángulo abierto,(2) sin embargo, en algunos pacientes puede comprometer el control de la presión intraocular y genera peaks (picos) hipertensivos.

Las cirugías filtrantes de glaucoma comúnmente se realizan primero ya que posponerlo podría significar aumentar el riesgo de pérdida visual por glaucoma. Por otro lado, la cirugía filtrante ha demostrado acelerar la progresión de la catarata y un 6 - 58% de pacientes requieren facoemulsificación al año.

La extracción de cristalino en segundo tiempo puede comprometer el éxito quirúrgico, tanto a corto como a largo plazo, de la cirugía filtrante inicial. (4)

Es en este contexto es que nace la idea de realizar un procedimiento combinado que permita reducir la presión intraocular y mejorar la condición visual del paciente en un solo tiempo.

Glaucoma de ángulo cerrado

En glaucoma por cierre angular el tratamiento con extracción de cristalino por sí solo reduce la presión intraocular. (2,5)

Se estima una reducción de 32% de presión intraocular y reducción de 58% el uso de medicamentos. (2)

El éxito terapéutico de la extracción de cristalino depende de la etapa en que se encuentre el glaucoma, de qué tan precoz es la intervención y del manejo de los distintos mecanismos que provocan el cierre angular. (6)

Existen pacientes en quienes la facoemulsificación por sí sola no es suficiente para manejar el glaucoma por cierre angular, particularmente en aquellos glaucomas de larga data que se presentan con un daño avanzado o severo. La necesidad de mantener presiones intraoculares estrictamente bajas abre la posibilidad de ofrecer una cirugía de glaucoma asociada que logre este objetivo.

Cirugía de catarata combinada con implante filtrante en glaucoma

Estudios han mostrado que la cirugía combinada de catarata con cirugía filtrante de glaucoma resulta en una mayor reducción de la presión intraocular que la cirugía de catarata por sí sola.

En pacientes que requieren un valor de presión intraocular bajo, es la cirugía filtrante la primera opción.

La trabeculectomía es la cirugía de glaucoma tradicional que muchos cirujanos combinan con procedimientos de facoemulsificación, a pesar de ello, al comparar la faco-trabeculectomía con la trabeculectomía por si sola muchos estudios han mostrado una tasa de éxito menor, esto puede deberse al ambiente inflamatorio con consecuente cicatrización conjuntival severa, a pesar del uso de anti-metabolitos adyuvantes. (7)

Una alternativa potencial es combinar la cirugía de cataratas con un dispositivo filtrante de glaucoma. Esta combinación permitiría un manejo adecuado de la presión intraocular y al mismo tiempo una rehabilitación visual precoz evitando el alto riesgo de falla de la trabeculectomía. (3)

Múltiples estudios retrospectivos han mostrado resultados positivos tanto con dispositivos valvulados como no valvulados. (8,9)

Un estudio prospectivo que comparó implante de Baerveldt versus cirugía combinada con el mismo dispositivo, indicó que combinar procedimientos aumenta las tasas de falla que se hace significativa a los 3 años de seguimiento. Particularmente en aquellos pacientes cuyo flujo se hizo significativo entre las 3-6 semanas (inicialmente ocluidos con sutura reabsorbible), en quienes el flujo precoz genera un encapsulamiento mayor del dispositivo, considerando que los mediadores inflamatorios de la cirugía de catarata están presentes hasta 6 meses posterior al procedimiento.(3)

La cirugía combinada con implante filtrante en nuestro escenario consiste en una cirugía de cataratas convencional con posterior implante del dispositivo filtrante no valvulado (Implante PAUL), el cual en una primera instancia se ocluye con una sutura no reabsorbible para evitar su flujo. Esto último permite evitar posibles complicaciones asociadas a la filtración precoz y además, permite mejorar la predictibilidad de la presión intraocular. Una vez se estima necesario, se realiza una suturolisis con láser para activar el funcionamiento del dispositivo.

Cirugía de catarata asociada a Cirugía de glaucoma mínimamente invasiva

La cirugía de glaucoma mínimamente invasiva (MIGS) se presenta como una oportunidad para reducir la presión intraocular y disminuir el uso de medicamentos hipotensores con menor frecuencia de complicaciones en comparación con la cirugía filtrante.

Especial Glaucoma 26

En general estos procedimientos producen una reducción modesta de la presión intraocular en comparación de la facoemulsificación por sí sola. Tienen su espacio en pacientes con glaucoma leve a moderado que requieren cirugía de cataratas.

Un meta análisis publicado en 2024 concluyó que la cirugía combinada con MIGS independiente del mecanismo del mismo, alcanza una reducción de presión intraocular significativamente superior que la cirugía de catarata por sí sola, además de reducir el uso de medicamentos, sin el aumento de incidencia de eventos que amenacen la visión. (10,11)

Desafíos de la cirugía combinada

Al ser tanto la cirugía de cataratas como la cirugía de glaucoma procedimientos que reducen la presión intraocular, se espera una función aditiva de ambas y que el procedimiento combinado produzca una disminución de la presión intraocular mayor que cada cirugía por sí sola. Los efectos de cada cirugía reducen la predictibilidad del efecto hipotensor de la cirugía combinada. (12)

Combinar cirugías puede generar un aumento en las complicaciones asociadas a uno u otro procedimiento, el riesgo de infecciones y de falla por cicatrización excesiva asociada a la inflamación son frecuentemente mencionados en la literatura.

Finalmente, existe poca evidencia sobre los resultados a largo plazo de los procedimientos combinados.(12)

Ventajas teóricas

La cirugía combinada de cataratas y glaucoma permite una mejor rehabilitación visual, un menor costo asociado a cada procedimiento por separado, permite mejorar el seguimiento de pacientes con glaucoma al beneficiar su función visual y su capacidad de testeo con campimetrías de rutina. Finalmente, creemos que el riesgo de falla de la cirugía filtrante al asociarla con cirugía de cataratas se puede reducir con el uso de nuevos implantes filtrantes de lumen menor, como el implante de PAUL o ClearPath ST, dejando éstos sin función inicial a través de su oclusión con una sutura no reabsorbible y con la activación posterior del mismo a través de suturolisis con láser en el momento considerado adecuado.

Referencias:

1. Budenz DL, Gedde SJ. New options for combined cataract and glaucoma surgery. Curr Opin Ophthalmol [Internet]. 2014 Mar [cited 2025 Oct 28];25(2):141–7. Available from: https://journals.lww.com/co-ophthalmology/fulltext/2014/03000/new_options_for_combined_cataract_and_glaucoma.11.aspx

2. Chen PP, Lin SC, Junk AK, Radhakrishnan S, Singh K, Chen TC, et al. The Effect of Phacoemulsification on Intraocular Pressure in Glaucoma Patients: A Report by the American Academy of Ophthalmology. Ophthalmology. 2015 Jul 1;122(7):1294–307.

3. El Wardani M, Bergin C, Bradly K, Sharkawi E. Baerveldt shunt surgery versus combined Baerveldt shunt and phacoemulsification: A prospective comparative study. British Journal of Ophthalmology. 2018 Sep 1;102(9):1248–53.

4. Ahmadzadeh A, Kessel L, Subhi Y, Bach-Holm D. Comparative Efficacy of Phacotrabeculectomy versus Trabeculectomy with or without Later Phacoemulsification: A Systematic Review with Meta-Analyses. J Ophthalmol [Internet]. 2021 [cited 2025 Oct 28];2021:6682534. Available from: https://pmc.ncbi.nlm.nih.gov/articles/PMC7896844/

5. Ling JD, Bell NP. Role of Cataract Surgery in the Management of Glaucoma. Int Ophthalmol Clin [Internet]. 2018 [cited 2025 Oct 28];58(3):87–100. Available from: https://journals.lww.com/internat-ophthalmology/fulltext/2018/05830/role_of_cataract_surgery_ in_the_management_of.7.aspx

6. Azuara-Blanco A, Burr J, Ramsay C, Cooper D, Foster PJ, Friedman DS, et al. Effectiveness of early lens extraction for the treatment of primary angle-closure glaucoma (EAGLE): a randomised controlled trial. The Lancet. 2016 Oct 1;388(10052):1389–97.

7. Xie J, Li W, Han B. The Treatment of Primary Angle-Closure Glaucoma with Cataract: A Systematic Review and Meta-Analysis of Randomized Controlled Trails. Ophthalmol Ther [Internet]. 2023 Apr 1 [cited 2025 Oct 28];12(2):675–89. Available from: https://pubmed.ncbi.nlm. nih.gov/36580218/

8. Rao D, Pathak-Ray V. Combined cataract extraction with a new nonvalved glaucoma drainage device in adult eyes with cataract and refractory glaucoma. Indian J Ophthalmol. 2018 Sep 1;66(9):1278–83.

9. Chung AN, Aung T, Wang JC, Chew PTK. Surgical outcomes of combined phacoemulsification and glaucoma drainage implant surgery for Asian patients with refractory glaucoma with cataract. Am J Ophthalmol [Internet]. 2004 Feb 1 [cited 2025 Oct 28];137(2):294–300. Available from: https://www.sciencedirect.com/science/ article/pii/S0002939403009747?ref=pdf_download&fr=RR-2&rr=99662db00c42e79b

10. Yuan PH (Shawn), Dorling M, Shah M, Panarelli JF, Durr GM. Combined Microinvasive Glaucoma Surgery With Phacoemulsification in Open-Angle Glaucoma: A Systematic Review and Meta-analysis. Am J Ophthalmol [Internet]. 2025 Feb 1 [cited 2025 Oct 28];270:154–63. Available from: https://www.sciencedirect.com/science/article/pii/ S0002939424003337

11. Mai DD, Ingram Z, Oberfeld B, Solá-Del Valle D. Combined Microinvasive Glaucoma Surgery–A Review of the Literature and Future Directions. Semin Ophthalmol. 2023 Aug 18;38(6):529–36.

12. Combined surgery versus cataract surgery alone for eyes with cataract and glaucoma - Hirunyachote, P - 2014 | Cochrane Library [Internet]. [cited 2025 Oct 28]. Available from: https://www.cochranelibrary.com/ cdsr/doi/10.1002/14651858.CD008671.pub2/full

a la señal dopaminérgica

Rafael Iribarren y María Marta Galan (Argentina) rafairibarren@gmail.com; mariamartagalan66@gmail.com

Resumen

Este artículo salió en el Noticiero #73 noviembrediciembre y se publicó con el permiso de ALACCSA - R. Su reproducción está prohibida. Para más información sobre el noticiero visite la página web www.alaccsa.com

La miopía, considerada hoy una enfermedad, ha alcanzado proporciones epidémicas en las zonas urbanas del Este Asiático en pocos años. Lejos de ser genética, su progresión se vincula a factores medioambientales como la escasa exposición a luz natural, la baja iluminación de los interiores, y presencia en la cultura humana de estímulos visuales con predominancia de contraste OFF (por ejemplo, de la usual letra negra sobre fondo blanco y de la falta de pestañeo al leer). Múltiples experimentos en animales y humanos demuestran que la retina perifoveal detecta el desenfoque de la imagen en forma autónoma, regulando la acomodación y el crecimiento axial, basándose en la detección de la aberración cromática y enviando señales (como la secreción de dopamina) a través de la coroides hacia la esclerótica para que el ojo crezca más o menos rápido. Estrategias prometedoras para la prevención de la miopía incluyen aumentar tiempo que los niños pasan al aire libre, evitar que estén mucho tiempo leyendo o con dispositivos, modificar los anteojos y los lentes de contacto para desenfocar la perifovea, y desarrollar terapias lumínicas que estimulan la dopamina retiniana.

La OMS define la palabra “enfermedad” como una “alteración o desviación del estado fisiológico en una o varias partes del cuerpo, por causas en general conocidas, manifestada por síntomas y signos característicos, y cuya evolución es más o menos previsible”. La miopía es como veremos aquí, una enfermedad que se ha transformado en una epidemia en los últimos 30 años en el sudeste asiatico y está aumentando en paralelo en la mayor parte de las poblaciones urbanas de Europa y América.1,2 Ya hubo otra epidemia ligada a la educación compulsiva y la vida en las ciudades en Europa durante la revolución industrial en 1880,3 y más tarde otra en 1970 entre los Inuit.4 El descubrimiento de modelos experimentales de miopía en animales de laboratorio a partir de esta década de 1970 permitió analizar de qué modo el ojo gobierna su crecimiento armónico del largo axial en relación al poder sumado de la córnea y del cristalino.5 Casi 50 años de experimentación, tanto en animales como en humanos, han llevado a un cúmulo de conocimientos 6,7 que aquí vamos a resumir tratando de resaltar los más importantes.

Siguiendo las teorías de Sorsby,8-10 en el siglo pasado se creía que la miopía era un vicio de refracción de causa genética. Hoy sabemos que esto no es así, y que la miopía se produce casi siempre (salvo cuando es por un queratocono o un len-

Rafael Iribarren
María Marta Galan

ticono) por un crecimiento exagerado del largo axial debido a factores medioambientales, como la cantidad de iluminación ambiental.11 Y también, por otro lado, la miopía depende de como la retina detecta el contraste o las aberraciones con sus circuitos neuronales locales.6 Sabemos con claridad que la detección del plano de la imagen en foco, o fuera de foco, se hace a baja frecuencia espacial (entre 2-4 ciclos)6 y en una zona en forma de anillo de la retina para foveal entre 6 y 12º del eje visual en el ser humano,12,13 donde la agudeza visual no supera los 2/10. Es esta zona del polo posterior, y no la fóvea, la que seguramente gobierna el enfoque fino en los jóvenes a través de la vías centrales de la acomodación, y la que también envía un mensaje desde la retina hasta la esclera para que esta se vuelva más o menos distensible a la presión normal, siendo entonces modulado el crecimiento del largo axial del ojo en los animales en desarrollo.5 El mensaje retinal es sensible al defocus, al contraste y a la iluminación.6 Los niveles altos de iluminación por pocas horas al día, como cuando estamos en exteriores, previene la miopía experimental y la del ser humano.5,14 Actualmente se cree que la baja iluminación en ambientes interiores, tanto en viviendas urbanas como en condiciones de laboratorio, puede favorecer el desarrollo de miopía en humanos y en animales de experimentación.15,16

Por otro lado, se cree que el contraste de la letra negra en fondo blanco (contraste OFF para los campos receptivos retinianas) es un estímulo para producir miopía por el hecho de que los humanos leemos con libros y dispositivos digitales con ese tipo de letra.17 También se cree que la poca cantidad de frecuencias de alto contraste que hay en los ambientes artificiales creados por el ser humano puede ayudar a producir miopía, pues se ha bajado la progresión de esta enfermedad durante un año de seguimiento al pintar ambientes naturales en las paredes y los techos de algunas escuelas en china.18 También podría ser que la retina base su detección del plano de la imagen ocupándose de integrar temporalmente los cambios de la aberración esférica o incluso el astigmatismo paracentral.19,20

Está muy claro por experimentos en humanos viendo videos con tratamiento de la imagen para que el pixelado del rojo o del azul esté fuera de foco, que la coroides responde al defocus de un color o del otro discriminando, con sus cambios de espesor, dónde está cayendo en foco la imagen.21 Así, con estos simples experimentos, se demostró en el laboratorio de Frank Schaeffel, quien había descubierto que los lentes negativos producían miopía en pollos en 1988, que la retina del ser humano usa al menos la aberración cromática para detectar el plano de la imagen, siendo estas las bases de la acomodación y el control del crecimiento del ojo.6 Poner en foco el pixelado rojo en los videos y los textos de los dispositivos podría servir para detener el avance de la miopía producida por leer. Se abren así nuevos horizontes en la investigación.22,23

El plano de la imagen curva que se forma en la retina es producido por una combinación de dos lentes, la córnea y el

cristalino, debidamente alineados y separados por la profundidad de la cámara anterior. La córnea es algo asférica, pero no completamente, y presenta pues una aberración esférica positiva en la mayoría de los casos.24 El cristalino joven presenta un gradiente progresivo de índice de refracción que es mayor hacia el centro, y que compensa tan bien sus aberraciones esféricas que en los cristalinos jóvenes hay aberración esférica negativa compensando así la de la córnea.25 A pesar del gradiente del cristalino, que también compensa las aberraciones de los rayos paraaxiales, sabemos que la imagen curva que se forma en la retina del polo posterior tiene astigmatismo y coma en la refracción periférica paraxial,26 y justamente es esta la zona la que, como hemos dicho, gobierna el crecimiento del ojo.

Las imágenes detrás de la retina producidas por interponer lentes negativos delante de los ojos de animales en periodo de crecimiento producen miopía en forma sistemática desde que esto fue descubierto, como decíamos, en 1988.27 Por ello se dice que las imágenes enfocadas detrás de la retina favorecen la miopía.28 Y es de destacar que durante la lectura en los seres humanos se produce un retraso (lag) de la acomodación, siendo que no acomodamos todo lo necesario para llevar la imagen hasta el plano retinal ya que un texto común se lee con una agudeza cercana a los 3/10. Este retraso o “demora” de la acomodación es de aproximadamente -0.75 dioptrías y fue descrito hacia 1920 por Sheard como señala Duke-Elder.29 Este retraso de la acomodación sería uno más de los links entre la lectura y la miopización por poner la imagen detrás de la retina al leer,30 junto con el factor del contraste OFF de las letras negras en fondo blanco17 y la iluminación.11

Tan temprano como en el 2010, Neil Charman, analizando la refracción paramacular de los anteojos formales prescritos para la miopía en niños y adolescentes, propuso que el desenfoque de las imágenes parafoveales, que están detrás de la retina mientras la fóvea está en foco en los ojos miopes progresivos, sería un factor como para explicar el continuo avance de la miopía bajo la prescripción de lentes formales.28 A partir de ese año vimos aparecer trabajos de investigación en humanos con anteojos y lentes de contacto que alteran el contraste o el desenfoque de esa área parafoveal.31 Estos ensayos están dando buenos resultados, confirmando así la teoría de que la prescripción de lentes usuales podría ser perjudicial para los escolares miopes.32,33

Por otro lado, como quedó registrado en la Conferencia Internacional de Miopía del 2015 en Wenzhou (China)34 y en la literatura en general, existe una convergencia de estudios epidemiológicos y de laboratorio que respaldan la relación inversa entre la exposición a la luz natural y el riesgo de desarrollar miopía. Este efecto está seguramente mediado por la dopamina, un neurotransmisor importante en la retina que tiene diversas funciones, incluidas la adaptación a los cambios de iluminación, la señalización visual y el desarrollo refractivo.35

Los datos de experimentos realizados en diferentes especies sugieren que la dopamina actúa como una señal para detener

Artículo Noticiero ALACCSA-R

el crecimiento del ojo. La mayoría de los estudios respaldan la asociación entre la menor secreción de dopamina retiniana y el desarrollo de la miopía experimental, y con la hipótesis de que, estimulada por la luz, la dopamina produce una señal de stop. Estos estudios también demuestran que la exposición al aire libre o a luz brillante inhiben la miopía en animales de experimentación a través de mecanismos mediados por la dopamina.35 Su liberación está regulada en las células amacrinas dopaminérgicas por la intensidad de la luz, los movimientos oculares, el pestañeo y el contraste ON de la imagen detectada por los fotorreceptores y las bipolares.36 Por lo tanto, la exposición a la luz brillante puede ser una intervención ambiental ya probada para controlar el desarrollo de la miopía en el ser humano por aumentar los niveles de dopamina en la retina.37 Futuros estudios diseñados para caracterizar mejor la señalización de dopamina en humanos serían esenciales para aplicar el conocimiento en tratamientos farmacológicos efectivos para la prevención de la miopía, especialmente en niños.32,38 Existe una aplicación en desarrollo para smartphones que representa un tratamiento digital no invasivo basado en emisión de luz azul, diseñado para lograr un efecto terapéutico mientras los niños juegan o ven contenido educativo en los celulares. Esta luz azul es de una composición espectral específica y está pensada para activar la red de células que aumentan la dopamina retiniana.39

En conclusión, la etiopatogenia de la miopía implica mecanismos medioambientales modificables como la frecuencia de exposición al aire libre, la iluminación en interiores, los hábitos de lectura, el uso de dispositivos, el hecho de que los libros están hechos con letra negra en fondo blanco y finalmente, decimos que pueda ser probable que el diseño de los lentes para tratar a los niños miopes sea modificado para que las imágenes periféricas caigan delante de la retina, frenando así el crecimiento ocular. Los estudios continúan para buscar nuevos mecanismos medioambientales, como podrían ser los hábitos alimentarios y los ritmos circadianos, ya que la dopamina es la amina que representa el reloj biológico de la retina (independiente de la melatonina). Finalmente la genética parece estar implicada solamente en familias con miopía magna. Los genes asociados a su desarrollo están relacionados con la cadena de sucesos bioquímicos que van desde la detección del desenfoque en la retina hasta el mensaje que esta envía a la esclera a través de los cambios en la coroides para que el ojo crezca más o menos despacio.

Conflictos de Interés. Maria Marta Galán no declara ningún conflicto de interés y Rafael Iribarren declara trabajar en la empresa NOVAR fabricante de anteojos Myofix para el control de la miopía.

Referencias

1. WHO. The impact of myopia and high myopia. In: WHO, ed.The impact of myopia and high myopia, Sydney Australia: University of South Wales, 2016.

2. Sankaridurg P, Tahhan N, Kandel H, Naduvilath T, Zou H, Frick KD, Marmamula S, Friedman DS, Lamoureux E, Keeffe J, Walline JJ, Fricke TR, Kovai V, Resnikoff S. IMI Impact of Myopia. Invest Ophthalmol Vis Sci 2021; 62: 2.

3. H. C. Hygiene of the Eye in Schools. London, 1867.

4. Rozema JJ, Boulet C, Cohen Y, Stell WK, Iribarren L, van Rens G, Iribarren R. Reappraisal of the historical myopia epidemic in native Arctic communities. Ophthalmic Physiol Opt 2021; 41: 1332-45.

5. Wallman J, Winawer J. Homeostasis of eye growth and the question of myopia. Neuron 2004; 43: 447-68.

6. Schaeffel F, Swiatczak B. Mechanisms of emmetropization and what might go wrong in myopia. Vision Res 2024; 220: 108402.

7. National Academies of Sciences E, and Medicine. Myopia: Causes, Prevention, and Treatment of an Increasingly Common Disease (2024). In.Myopia: Causes, Prevention, and Treatment of an Increasingly Common Disease (2024), Washington (DC): The National Academies Press, 2024.

8. Sorsby A. School Myopia. Br J Ophthalmol 1932; 16: 217-22.

9. Sorsby A. The Control of School Myopia. Br Med J 1933; 2: 730-3.

10. Sorsby A, Fraser GR. Statistical Note on the Components of Ocular Refraction in Twins. Journal of medical genetics 1964; 1: 47-9.

11. Poudel S, Jin J, Rahimi-Nasrabadi H, Dellostritto S, Dul MW, Viswanathan S, Alonso JM. Contrast Sensitivity of ON and OFF Human Retinal Pathways in Myopia. The Journal of neuroscience : the official journal of the Society for Neuroscience 2024; 44.

12. Swiatczak B, Scholl HPN, Schaeffel F. Retinal “sweet spot” for myopia treatment. Scientific reports 2024; 14: 26773.

13. Panorgias A, Aigbe S, Jeong E, Otero C, Bex PJ, Vera-Diaz FA. Retinal Responses to Simulated Optical Blur Using a Novel Dead Leaves ERG Stimulus. Invest Ophthalmol Vis Sci 2021; 62: 1.

14. Wu PC, Chen CT, Chang LC, Niu YZ, Chen ML, Liao LL, Rose K, Morgan IG. Increased Time Outdoors Is Followed by Reversal of the Long-Term Trend to Reduced Visual Acuity in Taiwan Primary School Students. Ophthalmology 2020; 127: 1462-9.

15. Irigaray LF, Torres R, Zanutigh V, Lanca C, Grzybowski A, Iribarren R. Lifestyle and sleep-related behaviours in children with myopia. BMC ophthalmology 2025; 25: 97.

16. Landis EG, Park HN, Chrenek M, He L, Sidhu C, Chakraborty R, Strickland R, Iuvone PM, Pardue MT. Ambient Light Regulates Retinal Dopamine Signaling and Myopia Susceptibility. Invest Ophthalmol Vis Sci 2021; 62: 28.

17. Aleman AC, Wang M, Schaeffel F. Reading and Myopia: Contrast Polarity Matters. Scientific reports 2018; 8: 10840.

18. Wei Pan LW, Xin Yi, Yongxiang Gong, Yang Zhe, Zhiwei Luo, Xiaoning Li, Guishuang Ying, Ian Morgan, Daniel Ian Flitcroft, Zhikuan Yang, Weizhong Lan. Outdoor Scene Classrooms arrest myopia development: A school-based Randomized Clinical Trial. MedRxiv 2025: 2025.03.10.25323549;.

19. Collins MJ H-YH, Read SA, Yi F. Short-term axial length response to real versus simulated defocus. Invest Ophthalmol Vis Sci 2025; ARVO ABSTRACT: 2132.

20. Marre O GS, Louboutin A, Quetu T, Virgili S, Goldin M, Hamlaoui S, Baranton K. Nonlinear spatial integration allows normal and myopic retinas to detect the sign of defocus in natural scene. Invest Ophthalmol Vis Sci 2025; ARVO ABSTRACT: 4572.

21. Swiatczak B, Schaeffel F. Myopia: why the retina stops inhibiting eye growth. Scientific reports 2022; 12: 21704.

22. Ingrassia L, Swiatczak B, Schaeffel F. Two different visual stimuli that cause axial eye shortening have no additive effect. Vision Res 2024; 224: 108485.

23. Swiatczak B. Chromatic Light Therapy for Inhibiting Myopia Progression: Human Studies. Klinische Monatsblatter fur Augenheilkunde 2024; 241: 1126-8.

24. Calossi A. Corneal asphericity and spherical aberration. J Refract Surg 2007; 23: 505-14.

25. Iribarren R. Crystalline lens and refractive development. Prog Retin Eye Res 2015; 47: 86-106.

26. Navarro R. Adaptive model of the aging emmetropic eye and its changes with accommodation. Journal of vision 2014; 14: 21.

27. Schaeffel F, Glasser A, Howland HC. Accommodation, refractive error and eye growth in chickens. Vision Res 1988; 28: 639-57.

28. Charman WN, Radhakrishnan H. Peripheral refraction and the development of refractive error: a review. Ophthalmic Physiol Opt 2010; 30: 321-38.

29. Duke-Elder S AD, ed^eds. The developmental evolution of the refractive state. Chapter V. Anomalies of the optical system, Vol. Volume V. London: Henry Kimpton, 1970.

30. Gwiazda J, Bauer J, Thorn F, Held R. A dynamic relationship between myopia and blur-driven accommodation in school-aged children. Vision Res 1995; 35: 1299-304.

31. Anstice NS, Phillips JR. Effect of dual-focus soft contact lens wear on axial myopia progression in children. Ophthalmology 2011; 118: 1152-61.

32. Wildsoet CF, Chia A, Cho P, Guggenheim JA, Polling JR, Read S, Sankaridurg P, Saw SM, Trier K, Walline JJ, Wu PC, Wolffsohn JS. IMI - Interventions Myopia Institute: Interventions for Controlling Myopia Onset and Progression Report. Invest Ophthalmol Vis Sci 2019; 60: M106-M31.

33. Wolffsohn JS, Kollbaum PS, Berntsen DA, Atchison DA, Benavente A, Bradley A, Buckhurst H, Collins M, Fujikado T, Hiraoka T, Hirota M, Jones D, Logan NS, Lundstrom L, Torii H, Read SA, Naidoo K. IMI - Clinical Myopia Control Trials and Instrumentation Report. Invest Ophthalmol Vis Sci 2019; 60: M132-M60.

34. Zhou X, Pardue MT, Iuvone PM, Qu J. Dopamine signaling and myopia development: What are the key challenges. Prog Retin Eye Res 2017; 61: 60-71.

35. Witkovsky P. Dopamine and retinal function. Doc Ophthalmol 2004; 108: 17-40.

36. Poudel S, Rahimi-Nasrabadi H, Jin J, Najafian S, Alonso JM. Differences in visual stimulation between reading and walking and implications for myopia development. Journal of vision 2023; 23: 3.

37. He X, Sankaridurg P, Wang J, Chen J, Naduvilath T, He M, Zhu Z, Li W, Morgan IG, Xiong S, Zhu J, Zou H, Rose KA, Zhang B, Weng R, Resnikoff S, Xu X. Time Outdoors in Reducing Myopia: A School-Based Cluster Randomized Trial with Objective Monitoring of Outdoor Time and Light Intensity. Ophthalmology 2022; 129: 1245-54.

38. onas JB, Ang M, Cho P, Guggenheim JA, He MG, Jong M, Logan NS, Liu M, Morgan I, Ohno-Matsui K, Parssinen O, Resnikoff S, Sankaridurg P, Saw SM, Smith EL, 3rd, Tan DTH, Walline JJ, Wildsoet CF, Wu PC, Zhu X, Wolffsohn JS. IMI Prevention of Myopia and Its Progression. Invest Ophthalmol Vis Sci 2021; 62: 6.

39. Dopavision. MyopiaX Treatment for the Reduction of Myopia Progression in Children and Adolescents: Safety and Efficacy Investigation (MyopiaX-1). Clinical trials 2024: https://clinicaltrials.gov/study/ NCT04967287.

Edición n° 1 Volumen

Edición n° 1. Volumen 133

ASOCIACIÓN LATINOAMERICANA DE CIRUJANOS DE CATARATA, SEGMENTO ANTERIOR Y REFRACTIVA (ALACCSA-R)

/p. 9, 17

© 2017 Alaccsa-R • 2446 W Whittier Blvd,

Montebello, CA 90640-3041, USA https://alaccsa.com/contactenos/ ALCON

/p. 27

MX

Tel. 5579021866

Email: michelle.betanzos@alcon.com

HEIDELBERG ENGINEERING

/p. 9

Ian Wotherspoon Ziegler

Director de Ventas América Latina

Tel. +49 6221 6463 347

Fax +49 6221 6463 62

E-Mail: Ian.Wotherspoon.Ziegler@Heidelberg

Engineering.com

AR / UY - MED

Tel.: +54 11 4953 5569

E-mail: med@medsrl.com.ar

CL - OFTOMED

Tel.: +56 2 2571 3900

E-mail: oftomed@oftomed.cl

EC - SERVICESA

Tel.: +593 04 263 0282

E-mail: ventas@servicesa.ec

SV - ELECTROMED

Tel.: +503 7877 5945

E-mail: electromedsa@gmail.com

CO / VE - GUERRA & GUERRA

Tel.: +57 3 206 938 375

E-mail: marketing@gueguein.com

CR - DIOPSA

Tel.: +506 2211 8400

E-mail: svargas@diopsa.co.cr

MX - ARFAMEX

Tel.: +52 55 5135 6646 • 6648

E-mail: sales@arfamex.com

PY - PHAKOS

Tel.: +595 981 731 661

E-mail: td.phakos@gmail.com

PE - MEDIPAC

Tel.: +51 1 421 1770 • 221 8135

E-mail: medipac@medipac.pe

PANCORNEA

Portada 3

https://pancornea.org/ info@pancornea.org presidence@pancornea.org

Secretaria

Serena Blanco

+54 9 11 4409-6262

LUMIBIRD MEDICAL /p. 11

LATAM Contacts

Rosinov

Argentina

https://www.rosinov.com/inicio-oftalmologia/ info@rosinov.com +54 (11) 4855-3668

PREMIER INTERNACIONAL S.R.L

Bolivia

https://premier-internacional.com/categoria-producto/oftalmologia/ acamacho@premier-internacional.com +591 61678154

OPTIVISION COMERCIO

Brasil

https://optivisionbrasil.com.br/ contato@optivisionbrasil.com.br

+55 (31) 3284-7325 +55 (11) 94215-9414

ACCUVISION SPA

Chile

https://accuvision.cl/ contacto@accuvision.cl (+56) 243670311

SERVICESA

Ecuador

https://www.servicesa.ec/categoria/oftalmologia/ ventas@servicesa.ec +593 96-760-3089‬

ARFAMEX S.A. DE C.V. México

https://arfamex.com/oftalmologia/ sales@arfamex.com

marketing@arfamex.com (55) 5135 6646

DROGUERIA RAMON GONZALEZ REVILLA Panamá

https://drogueriarevilla.com/#Header_ wrapper info@drogueria-revilla.com +507 207-1900

MEDICA DEL PACIFICO S.R.L. Perú https://medipac.pe/ medipac@medipac.pe (51-1) 421-1770 / 221-8135

EYE SEE YOU OPHTHALMIC Trinidad y Tobago https://eyeseeyoultd.com/ megan@eyeseeyoultd.com janelle@eyeseeyoultd.com 1-868-671-9242 , 1-868-238-2020

AMV TECNOLOGIA C.A. Venezuela https://amvtecnologia.com.ve/ contacto@amvtecnologia.com.ve +58 412-740.3173

LABORATORIOS RETINA S.A.S. Colombia https://retina.com.co/ +57 43166500

MEDICAL VISION

Costa Rica https://www.medicalvisioncr.com/ asist.admin@medicalvisioncr.com gerencia@medicalvisioncr.com (506) 7237-8644

+55 (21) 980308283

PHAKOS SERVICIOS OFTALMICOS Paraguay https://phakospy.com/ info@phakospy.com +595 985 366 405

Turn static files into dynamic content formats.

Create a flipbook