

![]()



La revista líder en salud visual, óptica y optometría, presenta su renovado sitio web, un espacio diseñado para ofrecer información actualizada, contenidos exclusivos y mayor interacción con nuestra comunidad.
• Noticias y productos.
• Cobertura de eventos nacionales e internacionales.
• Entrevistas exclusivas.
• Lanzamientos de productos y tecnología.
• Espacios para la industria y la academia.




Noticias
Nueva prueba podría detectar problemas visuales en niños 5 8
05 ¿Los cambios acomodativos impulsan el control de la miopía en la ortoqueratología?
06 El queratocono y las afecciones de la piel comparten una conexión
06 VSP Vision firma un acuerdo definitivo para adquirir Marcolin
07 La FDA aprueba el primer lente oftálmico que desacelera la miopía

Desde la portada
Younger Optics exhibió unos lentes polarizados únicos en el Summit VyO

Publirreportajes
Alcon
12 Bausch + Lomb 14 Fedopto

Especial Moda y Tendencias
Y2K y el regreso de los lentes futuristas: oportunidades para la óptica en Latinoamérica


Especial: Contactología
El contactólogo especializado, un arquitecto de soluciones visuales Mi óptica
Tres claves para rentabilizar las lentes de contacto
20 Adaptación de lentes esclerales en paciente pediátrico con síndrome de Joubert y ulceraciones corneales recurrentes
23 Evaluación integral en ortoqueratología: claves para una adaptación exitosa
26 Cómo poner una consulta especializada en lentes de contacto

Infolab

Tecnología
IA en tus ojos: lentes inteligentes

Lentes y armazones

Summit

Eventos
Cuando los números dejaron de ser cifras y se convirtieron en estrategia 30 32 34 40
08 Colaboración humana + IA en optometría: redefiniendo el rol del clínico
Diseño que transforma visión y estilo
VisionyOptica™ 2025: esta segunda edición marcó un nuevo hito en la salud visual y la industria óptica
Vision Expo West se despide de Las Vegas
42FEDOPTO 2025: un encuentro que fortaleció la visión del gremio
44 Calendario de eventos 2025

Desde sus inicios en 1994, la revista 20/20 se integró rápidamente a la comunidad de salud visual en Latinoamérica, acompañándola a lo largo de estas tres décadas en todos sus retos y logros. Desde 20/20, visionyoptica y el Centro de Experiencia de la Visión - CEV, quisimos celebrar estos 30 años en comunidad con todos ustedes, los profesionales de la salud visual, en pro de quien trabajamos y a todos nuestros amigos de la industria, que han crecido con nosotros.
A partir de este deseo, nació nuestro primer Summit VisionyOptica, evento que se celebró en el Hard Rock de Guadalajara a finales del pasado mes de agosto.
Desde estas páginas y la edición especial #179, queremos agradecer a los más de 700 asistentes al evento, 40 expositores, y 52 conferencistas, quienes nos acompañaron en Guadalajara, México. Personalmente, quiero agradecer a nuestro excelente equipo de trabajo, liderado en el evento por nuestra directora de comunicaciones en óptica, Claudia Castillo.
En las siguientes páginas podrán informarse sobre los detalles que hicieron de este Summit, un evento único y especial, y desde ya, los invitamos a unirse en nuestro segundo Summit para el año 2026. Los invito también muy especialmente, a leer la sección especial de nuestro 30 aniversario, donde exponemos una retrospectiva sobre la historia de la revista que, en su esencia, refleja la historia del desarrollo de los diferentes aspectos de la salud visual en LATAM durante estas últimas tres décadas.
Hace 30 años, al concluir mi carta editorial, expresaba que nuestro objetivo con 20/20, era ofrecer a los profesionales de la salud visual y a la industria, las mejores herramientas posibles para fomentar su desarrollo y crecimiento. Hoy en día, 20/20 en todas sus versiones: física, digital y WebApp, es una revista del siglo XXI que forma parte de una estrategia de comunicación omnicanal y de creación de contenidos, siempre en pro de la mejora de la salud visual en nuestra región.
Por favor, escríbanos sus inquietudes a nuestro correo editorial: ccastillo@clatinmedia.com o por medio de nuestras redes sociales.
@visionyoptica /visionyoptica www.visionyoptica.com



INTELIGENTES A LA LUZ
INTELIGENTES
¡Encuentra tu color de lentes perfecto!
¡Encuentra tu
INTELIGENTES A LA LUZ
¡Encuentra tu color de lentes perfecto!

VENTAS:
USA, Europa y Brasil
Héctor Serna - Director Comercial Cel: +1 561 4437192 ventas1@clatinmedia.com
México: Carlos Cerezo
Cel: +52 5513523306 ccerezo@clatinmedia.com
Latinoamérica: Kelly Triana
Cel: +57 (320) 945-4400 ktriana@clatinmedia.com
Proyectos Especiales: Ángela Peralta pespeciales@clatinmedia.com Cel: +57 (320) 945-4382
OFICINAS:
USA: 2901 Clint Moore Rd, P.M.B 117 Boca Raton, FL 33496, Tel: +1 (561) 716-2711
Colombia: Carrera 7 No. 106 - 73 Of. 301 Bogotá, Colombia, Tel: +57 (310) 304-8820
México: Río Mississippi 49, piso 14, int. 1402. Colonia Cuauhtémoc, Alcaldía Cuauhtémoc, Ciudad de México, CP. 06500, Tel: (55) 2803-8170
20/20 En Español
20/20 en Español (ISSN: 2981-3840) “ISSN: 2981-3859 (En línea)”, es una revista producida, editada, diseñada y distribuida por Creative Latin Media,LLC. en Bogotá Colombia, bajo la licencia de Jobson Publishing, LLC. Su distribución es para todos los profesionales de la Salud Visual que cumplan con los requisitos para recibir la revista en América Latina.
Tarifas de suscripción anual: Colombia US$53; América Latina (países habla hispana) US$90; México US$53; Brasil US$180; USA y Canadá US$200; Europa por correo aéreo US$240; por correo aéreo a todos los demás países US$260. Para suscripciones comuníquese a suscripciones@clatinmedia.com.
Preprensa Creative Latin Media LLC. Otros productos de Creative Latin Media LLC son: 20/20 México. Visionyoptica.com.
WebApp 20/20 en Español y México. Review of Ophthalmology en Español. Review Of Ophthalmology México. Oftalmologoaldia.com.
WebApp Review Of Ophthalmology en Español y México.
Creative Latin Media no se responsabiliza por los contenidos publicados en los anuncios, comentarios o artículos suministrados por los profesionales de la salud visual o anunciantes en las revistas.

Editor en Jefe Juan Carlos Plotnicoff
Editora Clínica Patricia E. García A. O.D.
Editores 20/20 en Español Juliana Velásquez Franco Miguel González Aguilar
Editoras 20/20 México Elizabeth Olguín Cecimar Kerch
Editora clínica colaboradora Katherine González O.D.
Editora Europa Laura Mercado Producción y Preprensa Alejandro Bernal
Diseño Gráfico Nathalia López
Profesional Logística Ximena Ortega Bernal
Diseñador Gráfico de Medios Digitales Cristian Puentes
Oficinas y Ventas
Director General (CEO) Sergio Plotnicoff
Directora de Comunicaciones Laura Malkin-Stuart
Directora Administrativa y Financiera Luisa Fernanda Vargas A. Dirección de Distribución José Antonio Ferrarotto
Para temas editoriales contactarse con: Elizabeth Olguin (eolguin@clatinmedia.com)
Las traducciones y el contenido editorial de 20/20 En Español, no pueden ser reproducidos sin el permiso de Creative Latin Media™.
Producida / Editada / Diseñada / Distribuida por: 3 Touch Media S.A.S.
Creative Latin Media LLC
2901 Clint Moore Rd, P.M.B 117, Boca Raton, FL 33496- USA
Tel: +1 (561) 716 2711
e-mail: suscripciones@clatinmedia.com

Este artículo fue publicado y traducido bajo los términos de la licencia de Creative Latin Media con Jobson Healthcare Information. Queda estrictamente prohibida su reproducción total o parcial.
Evaluar la agudeza visual en niños pequeños ha sido un reto, ya que las tablas optométricas tradicionales se basan en el reconocimiento de letras.
La Dra. Susan Leat, profesora de la Universidad de Waterloo, se ha propuesto cambiar esta situación. Con la financiación de ‘Fighting Blindness Canada’, la Dra. Leat y su equipo han desarrollado la prueba Waterloo Differential Acuity Test (WatDAT), diseñada para niños menores de tres años, la cual se encuentra actualmente en fase de pruebas beta.
En lugar de leer letras, los niños juegan a un sencillo juego de “encontrar la diferencia”: se les pide que señalen la imagen que parece diferente de las demás. Este enfoque ha demostrado ser intuitivo y eficaz para pacientes muy pequeños.
En estudios recientes, el 96% de los niños de entre 18 meses y 4 años pudieron completar la prueba y los resultados coincidieron con las pruebas de referencia utilizadas en adultos. WatDAT puede detectar hasta el 96% de los déficits visuales a una edad más temprana.
Referencia:
1. Optiknow. (2025, agosto 27). New vision test could help detect children’s eye problems. Optiknow. https://www. optiknow.ca/2025/08/27/new-vision-test-childrenwatdat/

¿Los cambios acomodativos
impulsan el control de la miopía en la ortoqueratología?
Este artículo fue publicado y traducido bajo los términos de la licencia de Creative Latin Media con Jobson Healthcare Information. Queda estrictamente prohibida su reproducción total o parcial.
Por Eman A. Alzghoul, doctor, máster en Optometría, licenciado en Optometría, miembro de la FIACLE y la FBCLA.
Las lentes de ortoqueratología se utilizan para controlar la miopía en niños, pero los mecanismos subyacentes para el control de la miopía siguen sin estar claros.1 Si bien el desenfoque miópico periférico por sí solo no puede explicar completamente la eficacia de la ortoqueratología, las pruebas emergentes sugieren que los cambios en la acomodación y la función binocular pueden influir.
Estudios anteriores han documentado cambios funcionales tras el tratamiento con OrthoK, entre ellos, desplazamientos exoforicos y una reducción del retraso acomodativo y, algunas investigaciones indican, que los niños con menor amplitud acomodativa obtienen mejores resultados en el control de la miopía.2,3
Zhu y sus colegas realizaron un estudio de dos años en niños que cambiaron de gafas a OrthoK para analizar su impacto en la función acomodativa/binocular y la progresión de la miopía. Observaron que algunos parámetros visuales se estabilizaron en el primer mes y otros hacia los seis meses, con adaptaciones a largo plazo. Sin embargo, no se encontró relación entre estos cambios y la progresión miópica, lo que sugiere que el efecto de OrthoK es independiente de la función visual.
1. Cho P, Tan Q. Myopia and orthokeratology for myopia control. Clin Exp Optom 2019;102(4):364–77. https://doi.org/10.1111/cxo.12839.
2. Felipe-Marquez G, et al. Binocular function changes produced in response to overnight orthokeratology. Clin Experiment Ophthalmol. 2017;255(1):179–88. https://doi. org/10.1007/s00417-016-3554-0.
3. Song Y, et al. Accommodation and binocular vision changes after wearing orthokeratology lens in 8- to 14-year-old myopic children. Clinical and Experimental Ophthalmology. 2021;259(7):2035–45. https://doi.org/10.1007/s00417-021-05106-2.

Esta nota fue traducida y adaptada con autorización del Grupo Jobson Publish. Su reproducción no está permitida.
Se ha planteado la hipótesis que las ectasias corneales podrían relacionarse con afecciones inmunomediadas, especialmente con las dermatológicas inflamatorias, que contribuirían al desarrollo del queratocono (QC) por mecanismos inflamatorios, debido a la participación patogénica de la inflamación.
Investigadores del Baylor College of Medicine analizaron la base de datos de TriNetX (165 millones de pacientes en 19 países) y compararon a adultos de 18 a 40 años con afecciones dermatológicas inflamatorias. El estudio publicado en Córnea mostró que a los cinco años el riesgo de QC fue mayor en dermatitis atópica (2,3 veces), psoriasis (2,0) y en dermatitis seborreica, de contacto y urticaria (1,6 cada una), mientras que la rosácea no presentó una asociación. Los autores señalan la desregulación inmunológica y la inflamación como mecanismos centrales.
Las enfermedades atópicas y el queratocono pueden estar relacionados a los efectos mecánicos del frotamiento de los ojos, que es común en la dermatitis atópica debido al prurito. Con el tiempo, el frotamiento puede agravar el daño corneal.
Los altos niveles de citocinas alteran la reticulación del colágeno, afectando la estabilidad de la córnea y la piel. En el queratocono (QC) esto causa adelgazamiento corneal y, en enfermedades cutáneas inflamatorias, compromete el colágeno, destacando que la inflamación sistémica puede debilitar la córnea y sugieren mayor vigilancia en pacientes dermatológicos, así como tratar la inflamación sistémica para prevenir QC y sus complicaciones.
Referencia:
1. Review of Optometry. (2025, agosto 29). Keratoconus and inflammatory skin conditions share connection. Review of Optometry. https://www.reviewofoptometry.com/news/ article/keratoconus-and-inflammatory-skin-conditions-share-connection

VSP Vision anunció la firma de un acuerdo definitivo para adquirir Marcolin, propiedad de la firma de capital privado PAI Partners y de otros accionistas minoritarios. Esta adquisición marca una importante inversión en el sector, según indicó la compañía: “la incorporación de Marcolin es otro ejemplo de nuestro compromiso con un crecimiento con propósito que ofrecerá un mayor valor a los miembros, clientes, médicos y clientes clave de VSP”, afirmó Michael Guyette, presidente y director ejecutivo de VSP Vision.
Con una cartera con las marcas más codiciadas del mundo y una avanzada capacidad de fabricación propia, Marcolin complementará con creces nuestra oferta actual a través de Marchon Eyewear, a medida que continuamos ofreciendo gafas de alta calidad que satisfacen las diversas necesidades de nuestros clientes globales.
“Compartimos la pasión de llevar gafas de la más alta calidad al mayor número de personas posible, por lo que unirnos a VSP Vision es la combinación perfecta (...) Esperamos combinar nuestra experiencia, enfoque en la artesanía, compromiso con la innovación de productos, carteras complementarias y presencia geográfica para ofrecer a nuestros clientes lo mejor en gafas y servicio”, añadió Fabrizio Curci, CEO y director general de Marcolin.
Con el respaldo de PAI, la compañía ha ampliado su alcance internacional consolidándose como una presencia líder en el mercado mayorista de lentes y concretando una reorganización corporativa estratégica. Se espera que la transacción se cierre en el cuarto trimestre de 2025 y está sujeta a las aprobaciones regulatorias correspondientes.
La FDA aprueba el primer lente oftálmico que desacelera la miopía
Según la FDA, los lentes Essilor Stellest reducen la progresión de la refracción (equivalente esférico) en un 71% y el alargamiento axial en un 53% después de dos años de uso.
Los profesionales de la salud visual que ofrecen servicios para el tratamiento de la miopía muy pronto podrán recetar un lente oftálmico diseñado para tal fin. Esta aprobación del lente Essilor Stellest, por la FDA, representa la primera de este tipo en esta categoría.
Los lentes Stellest tienen un centro transparente de 9 mm de diámetro, rodeado de diminutos “lenslets” (microlentillas) que inducen un desenfoque periférico. Tanto los lentes Stellest como otros lentes oftálmicos que utilizan principios ópticos similares, ya se utilizan ampliamente en varios mercados internacionales. Un comunicado de prensa de EssilorLuxottica indica que el nuevo lente estará disponible para los profesionales estadounidenses en las próximas semanas.
El lente Essilor Stellest contiene más de 1000 “lenslets” (microlentillas) altamente asféricas en una serie de 11 anillos concéntricos que inducen un desenfoque periférico para interrumpir la señalización visual que contribuye a la elongación axial en la miopía progresiva.
La FDA decidió autorizar la comercialización del lente oftálmico Stellest basándose en los resultados positivos de un ensayo clínico aleatorizado de dos años, que comparó este lente con la corrección monofocal convencional para la miopía.

Aunque los datos del ensayo aún no se han publicado, un comunicado de prensa de la FDA indicó que el estudio mostró una reducción del 71 % en la progresión del equivalente esférico a los 24 meses. En cuanto a la longitud axial, el estudio mostró una reducción del 53 % en la elongación ocular durante el mismo período. No se reportaron efectos adversos graves, pero algunos pacientes sí reportaron síntomas visuales como visión borrosa y halos. En las instrucciones de uso del lente no aparece ninguna contraindicación.
El texto del anuncio de la FDA especifica que la agencia autorizó la comercialización de los lentes Stellest para corregir la miopía, con o sin astigmatismo, y para desacelerar la progresión de la miopía en niños de seis a doce años al inicio del tratamiento. Los lentes deben usarse al menos “doce horas al día, todos los días”, según EssilorLuxottica.
1. https://www.reviewofoptometry.com/news/article/first-myopiacontrol-spectacle-lens-approved-in-the-us
2. https://www.essilorluxottica.com/en/newsroom/press-releases/ essilor-stellest-fda/
Younger Optics causó una impresión destacada en el Summit VisionyOptica en Ciudad de México, cautivando a los asistentes con un stand dinámico y una impresionante exhibición de lentes polarizados NuPolar®. El compromiso de la compañía con expandir su presencia en América Latina y educar a los ópticos sobre el potencial comercial de los lentes polarizados, resonó profundamente entre los visitantes. Los ópticos elogiaron a Younger Optics no solo por sus productos innovadores, sino también por su liderazgo en la promoción del valor de las soluciones premium de protección solar, especialmente Transitions® Drivewear®, un lente polarizado único en su tipo que muchos ópticos en Estados Unidos consideran su opción preferida para gafas de sol.
En el mundo del cuidado visual, pocos productos logran combinar la mejora de la visión y la conveniencia del estilo de vida tan perfectamente como los lentes Transitions® Drivewear®. Para los ópticos profesionales, recomendar el lente solar adecuado no solo se trata de estilo: también es una cuestión de seguridad, confort y rendimiento. Y cuando se trata de conducir, los lentes Transitions® Drivewear® presentan un argumento convincente para ser la elección ideal.
Según un estudio reciente del Vision Council, el 63% de los adultos usa gafas de sol al conducir, lo que convierte esta actividad en la más común asociada con

El equipo Younger Optics LATAM incluye Lorena Medrano, Gerente de Marketing, US, Canadá, LATAM, Eliseo Parra, Director de Ventas LATAM, Eduardo Pacheco, Director de Ventas, US, Canadá, LATAM, Paola Hurtado, Gerente de Ventas Regional, John Tambini, Gerente de Ventas (no aparece en la foto).
el uso de gafas solares. Sin embargo, a pesar de esta necesidad evidente, solo el 8% de los usuarios de gafas con prescripción, adquieren gafas de sol con receta. Esta desconexión representa una oportunidad significativa para que los ópticos eduquen a sus pacientes y mejoren su experiencia de conducción.
Los lentes Transitions® Drivewear® nacieron de una colaboración entre Younger Optics y Transitions Optical, combinando dos tecnologías insignia: la polarización NuPolar® y los tintes fotocromáticos Transitions®. El resul -
tado es un lente que se adapta a las condiciones cambiantes de luz, bloquea el deslumbramiento y mejora el contraste, características fundamentales para una conducción segura y cómoda.
¿Por qué el deslumbramiento
El deslumbramiento no es solo una molestia; es un riesgo para la seguridad. El 70% de los consumidores afirma que les molesta el deslumbramiento, y el 25% dice que les molesta mucho. El deslumbramiento puede obstruir la visión y retrasar los tiempos de reacción.
Los lentes Transitions® Drivewear® abordan este problema directamente mediante la película polarizada NuPolar®, que bloquea la luz polarizada horizontalmente, la principal fuente de deslumbramiento intenso. A diferencia de los lentes solares estándar que solo reducen la intensidad de la luz, Transitions® Drivewear® filtra activamente el deslumbramiento, permitiendo que solo la información visual útil llegue al ojo.
Aunque la agudeza visual suele ocupar el centro de atención en los exámenes oculares, la sensibilidad al contraste es igual o incluso más importante para los conductores. Es la capacidad de distinguir objetos de su fondo, especialmente en condiciones de poca luz o alto des -

Los lentes Transitions® Drivewear® son lentes de sol versátiles para diversas actividades, no solo para conducir. Se adaptan continuamente a la luz solar durante todo el día, desde el amanecer hasta el anochecer.
lumbramiento. Los estudios han demostrado que una baja sensibilidad al contraste se correlaciona positivamente con un mayor número de accidentes viales.
Los lentes Transitions® Drivewear® están diseñados para mejorar la sensibilidad al contraste en todas las condiciones de luz diurna. Ya sea niebla, neblina, cielo nublado o sol brillante, estos lentes ayudan a los conductores a percibir mejor su entorno y reaccionar más rápido.
Lo s lentes Transitions® Drivewear® se adaptan a tres entornos clave de iluminación:
NUBLADO
El verde oliva de alto contraste maximiza la transmisión de la luz para conducir con poca luz.
SOL DENTRO DEL AUTOMÓVIL
El cobre filtra la luz azul y mejora el reconocimiento de los peligros.
LUZ BRILLANTE
El marrón filtra la luz brillante y hace más cómodas las actividades al aire libre.
Esta adaptación dinámica es posible gracias a una combinación patentada de tintes fotocromáticos reactivos tanto a la luz visible como a los rayos UV, lo que permite que el lente se oscurezca incluso
detrás del parabrisas, donde los fotocromáticos tradicionales no funcionan.
Aunque fueron diseñados pensando en la conducción, los Transitions® Drivewear® son lo suficientemente versátiles para una amplia variedad de actividades al aire libre. Desde el ciclismo y la pesca hasta el golf o el pickleball, los usuarios disfrutan de una visión sin deslumbramiento y comodidad adaptable en cualquier entorno diurno.
Además, los lentes bloquean el 100% de los rayos UVA y UVB y al menos el 80% de la luz azul de alta energía, convirtiéndose en una solución ideal durante todo el año para la salud y el confort visual.
Los ópticos pueden ayudar a sus pacientes a elegir monturas que complementen los tonos cambiantes del lente—verde oliva, cobre y marrón—combinándolos con tonos cálidos como carey y miel o tonos fríos como plata e índigo.
Para los pacientes con altas graduaciones (Rx), los lentes Transitions® Drivewear® están disponibles en índice alto 1.67, ofreciendo lentes más delgados y ligeros.
Para un toque adicional, se pueden aplicar recubrimientos espejo flash sin comprometer las propiedades fotocromáti -
cas del lente. También se recomienda tratamiento antirreflejante para eliminar los reflejos de la superficie interna.
Como profesional óptico, tienes el poder de transformar la experiencia de conducción de tus pacientes. Al recomendar Transitions® Drivewear®, no solo estás ofreciendo una opción solar premium, sino también una solución que mejora la seguridad, el confort y la confianza al conducir.
Ya sean conductores diarios, aventureros de fin de semana o jubilados disfrutando su tiempo libre, los lentes Transitions® Drivewear® se adaptan a sus vidas y protegen su visión en cada paso del camino.
Para obtener más información sobre los productos de Younger Optics y contactar al equipo de Younger LATAM, suscríbete al boletín ¡Visión Compartida! de Younger LATAM.


En esta ocasión quiero hablarles de mi experiencia como optómetra de la ciudad de Barranquilla adaptando Lentes de Contacto de reemplazo diario en mis pacientes.
Teodoro Tarud, OD.
Desde la llegada de los lentes de contacto de reemplazo diario PRECISION 1 con tecnología SMARTSURFACE a Colombia, hemos obtenido resultados que superan las expectativas: ofrecen una comodidad inmediata —casi imperceptible— que los convierten en una alternativa sobresaliente dentro de las adaptaciones de lentes de contacto desechables.
¿Cómo he incorporado esta nueva tecnología de superficie de agua a mi práctica?
• Recomendando a pacientes que quieren usar lentes de contacto de uso diario sin compromisos de limpieza. Ideal para pacientes que buscan la máxima facilidad de reemplazo y quieren olvidarse de rutinas de higiene.
• Ofreciéndolo a mis pacientes como alternativa para uso ocasional (deporte, eventos sociales o vacaciones). Los pacientes usuarios de lentes de remplazo mensual suelen recurriraPRECISION 1 para actividades deportivas, evitando así el desgaste prematuro de sus lentes mensuales.
• En Pacientes con conjuntivitis papilar gigante (CPG) o con intolerancia a lentes mensuales el recambio diario reduce la carga de depósitos y mejora la tolerancia.
• En usuarios que han presentado fracasos previos por hipersensibilidad o incomodidad el diseño y material de los lentes de contacto Precisión 1 minimizan la sensación física, ofreciendo una segunda oportunidad de éxito.
• Los lentes de contacto Precision 1 sirven de herramienta para la determinación precisa de graduaciones altas (>±6.00D); adaptando primero en distancia a vértice cero nos permite verificar la comodidad y calcular con exactitud la prescripción de anteojos según la distancia a vértice real del usuario.
• Ideal para niños y adolescentes ya que genera seguridad a los padres porque minimizan los riesgos de complicaciones por infecciones y sobreuso.
Dentro de mi consulta, he tenido excelentes resultados en la adaptación. Prueba de ello, los comentarios que mis pacientes manifiestan.
Destacando algunos:
“¡No siento estos lentes!” “Doctor, ¿ya me los colocó? ¡No los percibo!”
Tanto así que, en el consultorio hemos bautizado a PRECISION1 como el lente de la “maldad”: le comentamos a los pacientes que,“una vez lo prueben no querrán utilizar nada más” por eso el fabricante lo ha denominado: EL LENTE PARA COMENZAR Y QUEDARSE. Lo usamos para facilitar a los pacientes con ametropías altas la elección de sus monturas cuando vienen a consulta.
Es importante mencionar que el costo de un par de lentes desechables diarios es equivalente al valor de un buen café por lo que la satisfaccióny la salud ocular compensan ampliamente esta inversión.
PRECISION 1 ha demostrado ser una herramienta valiosa para ampliar las opciones de adaptación, mejorar la comodidad y fidelizar a los pacientes. Recomiendo considerarlo como:
• Solución primaria para nuevos usuarios quepriorizan la higiene y la comodidad.
• Respaldo para usuarios de lentes mensuales que necesitan una opción segura en ambientes exigentes.
• Pacientes con previas experiencias no satisfactorias.
• En casos clínicos con complicaciones anteriores de depósitos o sensibilidad elevada.
La versatilidad y alto índice de éxito de Precisión 1 hacen de este lente una opción imprescindible en el arsenal de cualquier optómetra orientado a la excelencia ene l cuidado visual.
Teodoro Tarud OD
Lentes de Contacto Suaves Verofilcon A.
Referencia: Precision 1 for Astigmatism.
Referencia: Precision1.
Registro Sanitario N°: INVIMA2020DM-0022080.
Presentación Comercial: Caja por 10, 30 y 90 lentes.
CO-PR1-2500006

Las lentes de contacto permeables al gas han desempeñado un papel vital en el cuidado de los ojos durante mucho tiempo, ofreciendo beneficios inigualables para pacientes con diversas necesidades visuales. A la vanguardia de esta industria está la marca Boston Materials de Bausch + Lomb, reconocida por sus innovadores materiales para lentes permeables al gas que potencian a profesionales de atención oftalmológica y a laboratorios de todo el mundo.
Ken Harty, director de Operaciones de las instalaciones de Bausch + Lomb
Para profundizar en el funcionamiento interno de esta icónica marca, nuestros periodistas tuvieron el privilegio de entrevistar a Ken Harty, director de Operaciones de las instalaciones de Bausch + Lomb en Wilmington, Massachusetts, centro de fabricación de Boston Materials. Con casi cuatro décadas de experiencia en Bausch + Lomb, las ideas de Ken ofrecen una perspectiva única sobre la evolución y la trayectoria futura de esta marca destacada.
Ken, ¿podría compartir con nuestros lectores cómo se han desarrollado las operaciones durante el último año?
Ken Harty: El año 2024 fue un año verdaderamente dinámico en nuestras instalaciones de Wilmington. En el marco de nuestro compromiso
continuo con la calidad, hemos logrado avances significativos en la ampliación de nuestras operaciones para dar cabida a futuras innovaciones. Son tiempos que nos llenan de emoción mientras nos preparamos para lo que se viene.
¿Qué actualizaciones se han implementado para apoyar este crecimiento?
Ken Harty: Hemos invertido mucho en la infraestructura de fabricación. Nuestras exclusivas cámaras de polimerización ofrecen un control meticuloso sobre la reacción del polímero, lo que genera uniformidad en las propiedades de los materiales. Además, nuestro equipamiento de mecanizado de última generación, incluidos los nuevos tornos CNC Tsugami para lentes esclerales, posibilita la producción de geometrías de botones complejas manteniendo tolerancias dimensionales precisas de crucial importancia para nuestros productos.
¿Cómo continúa mejorando sus procesos Bausch + Lomb?
Ken Harty: La mejora continua está arraigada en nuestra cultura. Reevaluamos y perfeccionamos regularmente nuestras metodologías, manteniéndonos en los más altos estándares de calidad. Nuestros rigurosos protocolos de prueba para monómeros y materiales, junto con actualizaciones de software validadas para resguardar la integridad de los datos, nos permiten ofrecer productos precisos y fiables en los que nuestros clientes pueden confiar.
¿Podría explicar el soporte que Bausch + Lomb ofrece a sus clientes?
Ken Harty: Nuestro compromiso va más allá de la calidad del producto. Ya se trate de orientación en materia regulatoria, conocimientos de fabricación o soluciones personalizadas, nuestro equipo no escatima en esfuerzos. Nos enorgullecemos de personalizar productos para satisfacer necesidades específicas, desde las dimensiones de los botones y los tintes de manipulación hasta las configuraciones de embalaje. Además, nuestro extenso repositorio de documentación respalda el cumplimiento normativo y contribuye con experiencia profesional en la fabricación de lentes.
Con todos los avances e inversiones que ha realizado Boston Materials, ¿cómo beneficia esto a los proveedores de atención oftalmológica y a los pacientes?
Ken Harty: Al final del día, todo lo que hacemos (cada proceso que perfeccionamos, cada control de calidad que implementamos, cada mejora que buscamos) tiene un propósito: ayudar a que los pacientes vean mejor para vivir mejor. Los materiales que producimos se integran a lentes hechas a medida que repercuten directamente en la visión y el estilo de vida de los pacientes. Al garantizar que nuestros botones de lentes GP sean uniformes, precisos y confiables, facilitamos a los laboratorios la creación de lentes que brinden excelentes resultados clínicos. Ya sea una persona con afecciones corneales complejas o un paciente que busca una visión más nítida, nuestro objetivo es ayudar a que los profesionales puedan brindar la mejor atención posible.
Con un legado de más de 50 años, Boston Materials sigue siendo un faro de calidad e innovación dentro de la industria óptica. Nuestra firme dedicación a la excelencia permite que cada uno de los botones para lentes GP meticulosamente elaborados de B+L cumpla con los más altos estándares de rendimiento y seguridad.
Como resumió acertadamente Ken Harty: “Estamos en la permanente búsqueda de materiales novedosos e innovadores para mejorar aún más la experiencia de uso de los pacientes y alinearnos con las consideraciones ambientales emergentes. Nuestra trayectoria es una de mejora continua y compromiso inquebrantable. Estamos entusiasmados por el futuro y nos mantenemos firmes en nuestra búsqueda de mejorar el cuidado ocular a través de materiales de última generación y una atención al cliente excepcional”.


Este vistazo de Boston Materials de Bausch + Lomb pone de relieve su misión de empoderar a los optometristas y laboratorios a nivel mundial, estableciendo el punto de referencia para los materiales de lentes permeables al gas que elevan la atención al paciente y los resultados visuales.
©Bausch + Lomb. BNL.0007.USA.25


En el marco del Congreso Nacional de Optometría, la Revista 20/20 conversó con la presidenta de FEDOPTO, la Dra. Marcela Huertas, quien nos compartió los retos, avances y proyecciones del gremio en Colombia.
En un diálogo cercano y reflexivo, la Dra. Huertas explicó su visión sobre el papel de la optometría en el sistema de salud, el fortalecimiento gremial y la importancia de espacios académicos como este Congreso, con el objetivo de impulsar la formación continua y el reconocimiento profesional. Durante la entrevista, la Dra. Huertas ofreció una mirada estratégica al presente y futuro de la optometría colombiana desde la voz de quien lidera uno de sus principales referentes institucionales.
20/20: Nos encontramos con la Dra. Marcela Huertas, la actual presidente de Colegio Federación Colombiana de Optómetras – FEDOPTO. Bienvenida y gracias doctora por permitirnos este espacio.
Marcela Huertas: Gracias a ustedes y a todo el equipo de la Revista 20/20, por estar con nosotros y acompañarnos en nuestras actividades.
20/20: Doctora, ¿cuál considera que fue el mayor logro para el Congreso FEDOPTO 2025?
MH: Yo creo que estos Congresos siempre sobresalen por el trabajo en equipo, con un apoyo de una región, en este caso, la Seccional Santander que nos permitió adelantar actividades diversas y, la parte académica, que nos parece que es fundamental, considerando que tenemos un buen grupo académico que nos ha hecho una excelente agenda para este año en este Congreso que fue un verdadero éxito.
20/20: ¿Qué momentos o qué iniciativas marcaron el Congreso de este año?
MH: Yo creo que algo interesante que hicimos este año diferencial con respecto a otros congresos, es que nos apalancamos en la parte académica de las asociaciones y de las subespecialidades que tiene nuestra profesión.
Estuvimos con asociaciones que agrupan especialistas en diferentes áreas y esto nos ayudó a fortalecer nuestro congreso
20/20: ¿Qué acciones quedan para lo que nos resta del 2025?
MH: Bueno, la primera acción que nos queda es empezar con FEDOPTO 2026, Congreso Internacional que se realizará en la ciudad de Pereira, posteriormente, seguiremos con nuestra parte académica, con el plan de educación continua que manejamos nosotros y un proyecto que se llama PEC - Programa de Educación Continuada, el cual todavía nos quedan dos visitas, una en Zipaquirá y el otro lo vamos a realizar en la ciudad de Armenia.
20/20: ¿Qué visión tiene FEDOPTO para el año 2026?
No es únicamente una visión para el año 2026, estamos en un proceso de transformación organizacional donde estamos celebrando nuestros 75 años y somos conscientes que tenemos que evolucionar, actualizarnos y fortalecernos para otros 75 años.


Por Laura Mercado Editora 20/20 Europa
La moda es cíclica, y el fenómeno del revival del Y2K está transformando nuevamente el mercado óptico. Aunque para muchos el concepto Y2K puede ser algo nuevo, en realidad se refiere al ‘Year 2000’. Este término alude a la estética tecnológica y futurista que marcó finales de los años noventa e inicios de los 2000.
Hoy, en pleno 2025 y con la mirada puesta en el 2026, esta tendencia resurge con fuerza. La Generación Z, definida por su consumo digital y su constante búsqueda de diferenciación estética, ha resignificado estilos de gafas que hace dos décadas se relacionaban al deporte, la velocidad y la cultura pop tecnológica con monturas envolventes, lentes espejados y diseños de inspiración futurista
Para los profesionales de la salud visual en América Latina, este retorno representa más que una tendencia estética, es una verdadera oportunidad estratégica de reposicionamiento frente a un público joven, altamente exigente y con gran influencia en el consumo.
La estética Y2K aplicada al eyewear se caracteriza por elementos ópticos y de diseño que requieren una mirada experta:
• Diseños envolventes: monturas curvadas con alta cobertura que exigen precisión en el tallado de lentes oftálmicos para garantizar campos visuales correctos y evitar aberraciones periféricas.
• Lentes espejados: un acabado que combina funcionalidad (protección frente a radiación solar intensa) con un alto valor estético. El desafío está en equilibrar la moda con recubrimientos de calidad óptica y durabilidad.
• Geometrías deportivas: formas aerodinámicas inspiradas en el ciclismo, el running o el esquí, que requieren montajes específicos y asesoría personalizada según las necesidades visuales del usuario.
• Materiales tecnológicos: el uso de policarbonato y nylon inyectado, materiales ligeros y resistentes, que facilitan diseños vanguardistas sin comprometer la seguridad ocular.
Para comprender mejor a los consumidores potencialmente interesados en este tipo de monturas, es importante considerar algunas de las características que definen a este segmento:
• Búsqueda de identidad visual: utilizan los lentes como un accesorio central en la construcción de su imagen.
• Alta exposición digital: descubren productos en TikTok, Instagram o a través de referentes culturales.
• Ritmo de consumo acelerado: esperan colecciones dinámicas y actualizaciones frecuentes en el catálogo de la óptica.
• Sensibilidad al storytelling: valoran marcas y espacios que les hablen de pertenencia cultural, no sólo de funcionalidad óptica.
El reto para los ópticos y profesionales de la visión no consiste únicamente en incorporar monturas de estética Y2K a sus vitrinas, sino en hacerlo de manera estratégica, asegurando que cada propuesta combine innovación en diseño con los más altos estándares en salud visual.
El primer paso es realizar una selección consciente del inventario. No se trata solo de incluir modelos llamativos, sino de garantizar que provengan de marcas que ofrezcan calidad óptica comprobada y montajes seguros.
A ello, se suma la importancia de una asesoría profesional personalizada. El óptico u asesor, debe orientar al usuario sobre cómo este tipo de monturas interactúa con sus necesidades visuales específicas. Esta guía técnica se convierte en un valor agregado que diferencia a la óptica frente a la competencia.
Otro aspecto clave es la creación de espacios de experiencia dentro de la óptica. Integrar estas colecciones futuristas en un entorno aspiracional permite que su negocio sea percibido, no solo como un punto de venta, sino como un verdadero espacio de descubrimiento de tendencias.
Finalmente, aprovechar el interés que despierta el diseño Y2K para reforzar la educación en salud visual. Informar al paciente sobre los riesgos de utilizar productos de imitación o lentes sin la debida certificación es una manera de transformar la moda en una oportunidad de concientización, fortaleciendo la confianza en la práctica profesional.
En conclusión, el regreso de los lentes futuristas Y2K demuestra cómo la moda influye directamente en la práctica óptica. Para el profesional de la salud visual en Latinoamérica, este fenómeno abre la posibilidad de acercarse a nuevas generaciones con un discurso que combina vanguardia y rigor técnico. Así, la óptica deja de ser únicamente un espacio clínico o comercial para convertirse en un laboratorio de tendencias responsables, donde la estética Y2K no solo se observa como moda pasajera, sino como una oportunidad de innovación y fidelización de clientes.

La contactología especializada representa, en realidad, el arte y la ciencia de la personalización en la corrección visual. Cada paciente es un universo único, y el contactólogo, mediante una combinación de rigor científico y sensibilidad ante la complejidad y los retos de muchos de los casos, logra adaptar soluciones que van más allá de la simple prescripción: transforma necesidades individuales en experiencias que realmente mejoran vidas. Así, la verdadera excelencia en este campo no reside solo en el dominio técnico, sino en la capacidad de personalizar cada lente, cada ajuste y cada seguimiento, otorgando al paciente una visión que se integra perfectamente con su vida y sus necesidades.
En el dinámico universo de la salud visual, la contactología ha dejado de ser una especialidad discreta para convertirse en un pilar clínico de alta precisión. Hoy, más que nunca, hablar de lentes de contacto implica abordar temas de tecnología, personalización y estrategia terapéutica. La evolución del mercado, con opciones que van desde lentes esclerales para córneas irregulares, hasta diseños avanzados para ortoqueratología, y las múltiples alternativas que hay para la presbicia y el astigmatismo, ha transformado al contactólogo en un arquitecto de soluciones visuales.
Esta expansión no solo exige conocimiento técnico, sino también sensibilidad clínica y visión interdisciplinaria. Adaptar un lente ya no es simplemente ajustar parámetros: es interpretar la historia ocular del paciente, anticipar su entorno visual y ofrecerle una experiencia de corrección que respete su fisiología y estilo de vida.
La contactología moderna es, en esencia, una especialidad dentro de sí misma. Requiere formación continua, diálogo entre colegas, y una mirada a no tener miedo al riesgo ante la posibilidad
de mejorar la calidad de vida de un ser humano.
En esta edición de la Revista 20/20, rendimos un sentido homenaje a todos los colegas que, con pasión y compromiso, se dedican a la contactología especializada. Además, queremos inspirar y motivar a las nuevas generaciones de profesionales para que se sumen a este campo dinámico y transformador, llevando la excelencia y la innovación a cada consulta y a cada historia visual de sus pacientes.
Invitamos a todos los profesionales de la salud visual a considerar a la contactología como un área importante en su práctica diaria. Abrir la mente a nuevas alternativas no solo aporta valor a los pacientes, sino que también puede potenciar el crecimiento profesional y empresarial. Además, aprender de la experiencia y los casos clínicos compartidos por colegas enriquece la visión y fortalece el criterio clínico, permitiendo una atención más integral y personalizada. Finalmente, la rigurosidad en la evaluación de cada paciente debe ser la piedra angular de nuestro ejercicio, garantizando así resultados óptimos y sostenibles en el tiempo.
A quienes ejercen esta disciplina con rigor y empatía, les decimos: su trabajo no solo corrige la visión, también redefine lo que significa ser un profesional de excelencia que realmente mira con un propósito.
Con gratitud y admiración,













Los materiales de lentes permeables al gas Boston XO® y Boston XO2® están diseñados para satisfacer la demanda de una alta transmisibilidad de oxígeno sin comprometer los requisitos de rendimiento del diseño de las lentes y las características de humectación de la superficie.
Ambos son adecuados para una amplia gama de diseños especiales para necesidades visuales exigentes, entre las que se incluyen:
• Lentes de contacto esféricos y asféricos para la miopía, la hipermetropía y afecciones irregulares de la córnea, como el queratocono.
• Lentes de contacto bifocales para la presbicia.
• Lentes tóricos para corregir el astigmatismo en pacientes con y sin afaquia.
• Diseños de lentes esclerales indicados para su uso en pacientes que tienen una enfermedad de la superficie ocular, como la xeroftalmia.
Están disponibles con varios tintes de manipulación.
Boston XO® Dk 100
Boston XO2® Dk 141 ISO/FATT*

Boston XO® y Boston XO2® están disponibles en diámetros tanto estándares como superiores de hasta 21 mm y cuentan con la tecnología de revestimiento Hydra-PEG® de Tangible®
Comuníquese con los expertos de su laboratorio autorizado de Boston para realizar pedidos y solicitar asesoramiento sobre ajustes.


Por Edward Carmona.
Especialista
en el Tratamiento de la Superficie Ocular y Lentes Esclerales.
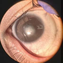
Objetivo: presentar el abordaje interdisciplinario y los resultados clínicos obtenidos en un paciente pediátrico con síndrome de Joubert y ulceraciones corneales recurrentes, tratado mediante la adaptación de lentes esclerales de última generación.
Método: caso clínico descriptivo de un niño de 8 años con antecedentes de úlceras corneales profundas bilaterales y leucomas paracentrales, secundarias a disminución refleja del parpadeo por compromiso neurológico. El manejo incluyó terapéutica antimicrobiana tópica, suero autólogo, insulina tópica y finalmente adaptación de lentes esclerales personalizados con tratamiento de superficie.
Resultados: se observó resolución de las ulceraciones recurrentes, desaparición del ojo rojo, reducción de la neovascularización corneal y esta-
bilidad epitelial sostenida. El uso de lentes esclerales permitió rehabilitación visual funcional, evitando la indicación de trasplante corneal.
Conclusión: los lentes esclerales representan una alternativa terapéutica segura y eficaz en pacientes pediátricos con alteraciones neurológicas que predisponen a daño corneal recurrente, contribuyendo tanto a la protección epitelial como a la mejora de la calidad visual. Palabras clave: síndrome de Joubert, lentes esclerales, úlceras corneales recurrentes, leucoma corneal, superficie ocular, pediatría.
El síndrome de Joubert (SJ) es un desorden neurológico raro caracterizado por hipoplasia del vermis cerebeloso y anomalías en tronco encefálico, lo que ocasiona ataxia, movimientos oculares
anormales y alteraciones respiratorias. Entre las complicaciones oftalmológicas destacan el nistagmo, estrabismo y, en algunos casos, disminución del reflejo de parpadeo, predisponiendo a queratopatía de exposición y ulceraciones recurrentes.
Los lentes esclerales, al generar un reservorio de solución salina entre el dispositivo y la córnea, proporcionan un microambiente estable, previenen la desecación epitelial y mejoran la oxigenación periférica, lo cual los convierte en una opción eficaz en patologías de superficie ocular refractarias al tratamiento convencional (Schornack et al., 2014; Barnett & Lien, 2020).
Niño de 8 años diagnosticado con síndrome de Joubert, remitido por ulceraciones corneales recurrentes bilaterales. Antecedentes de dos episodios de úlceras corneales profundas con cicatrización que generaron leucomas paracentrales (Foto:1).
Al examen inicial:
• Ojo rojo bilateral persistente.
• Superficie corneal con neovascularización superficial.
• Disminución marcada del reflejo de parpadeo.
• Alteraciones en la estabilidad lagrimal con NITBUT reducido (<5 s).
• Tinción positiva con verde lisamina (++ en área interpalpebral).
• Ciprofloxacino tópico libre de preservantes en múltiples oportunidades.
• Suero autólogo al 20% en ciclos de tratamiento.
• Insulina tópica en fases de epitelización.
• Seguimiento interdisciplinario con corneólogo y neuropediatra.

LENTES DE SOL PARA EL CAMINO Y
Los lentes de sol Transitions® Drivewear® mejoran tu visión en la carretera y enriquecen tu experiencia del mundo al aire libre, desde el anochecer hasta el amanecer, en cualquier clima.





Dada la recurrencia de las ulceraciones, se decidió la adaptación de lentes de apoyo escleral personalizados (diámetro 17.5 mm) con diseño free-form y recubrimiento hidrofílico de plasma + Tangible® Hydra-PEG® para mejorar la humectabilidad y reducir depósitos (Foto: 2-3).
• A la primera semana: resolución del ojo rojo y desaparición de sintomatología irritativa.
• Al primer mes: epitelización completa sin recurrencia de defectos corneales.
• A los tres meses: regresión parcial de la neovascularización, transparencia corneal periférica conservada.
• Mejoría funcional: fijación estable y rehabilitación visual con aumento de agudeza visual (sin llegar a visión normal por leucomas preexistentes).
El caso resalta la utilidad de los lentes esclerales en población pediátrica con alteraciones neurológicas, donde la disminución del parpadeo y la inestabilidad lagrimal predisponen a daño corneal severo. La literatura respalda el uso de lentes esclerales en queratopatía neurotrófica, exposición ocular y úlceras recurrentes (Romero-Rangel et al., 2000; Walker et al., 2020).
En este paciente, los lentes actuaron como una barrera protectora mecánica, manteniendo una super-
ficie ocular constantemente lubricada, lo que permitió:
1. Prevenir nuevas ulceraciones.
2. Reducir la neovascularización corneal.
3. Evitar la progresión hacia trasplante corneal, altamente riesgoso en pediatría con neuropatías.
El uso de tratamientos de superficie avanzados (plasma + Tangible® Hydra-PEG®) optimizó la biocompatibilidad y facilitó la adherencia en un paciente pediátrico, donde el riesgo de depósitos lipídicos y mucínicos suele ser elevado (Foto:4-5).
La adaptación de lentes esclerales de última tecnología constituye una herramienta terapéutica eficaz en el manejo de pacientes pediátricos con síndrome de Joubert y ulceraciones corneales recurrentes. Este abordaje interdisciplinario permitió preservar la integridad corneal, mejorar la calidad visual y prevenir procedimientos quirúrgicos mayores como el trasplante corneal.
4. Schornack MM, Baratz KH, Patel SV, Maguire LJ. Jupiter scleral lenses in the management of chronic graft-versus-host disease. Eye Contact Lens. 2014;40(6):302-305.
5. Barnett M, Lien V. Contemporary Applications of Scleral Lenses. Eye Contact Lens 2020;46(6):333-340.
6. Romero-Rangel T, Stavrou P, Cotter J, Rosenthal P, Baltatzis S, Foster CS. Gas-permeable scleral contact lens therapy in ocular surface disease. Am J Ophthalmol. 2000;130(1):25-32.
7. Walker MK, Bergmanson J, Miller WL, Marsack JD. Complications and fitting challenges associated with scleral contact lenses: A review. Cont Lens Anterior Eye. 2020;43(4):415-425.

Por L.O. Karen Blanco
Licenciada en Optometría y pasante de la Especialidad en Lentes de Contacto
La adaptación de lentes para ortoqueratología exige una evaluación integral que va más allá de la refracción. Cada candidato representa una combinación única de factores clínicos, ópticos y humanos que deben ser cuidadosamente considerados para garantizar no solo la eficacia del tratamiento, sino también la seguridad, la tolerancia y el compromiso a largo plazo. Desde la biomecánica corneal hasta la dinámica pupilar, pasando por la historia refractiva y hábitos familiares, cada elemento influye en el éxito de esta modalidad.
La ortoqueratología es comúnmente conocida como Orto-K y consiste en la adaptación de lentes de contacto especializadas, diseñadas para ser utilizadas durante la noche mientras el paciente duerme. (1) Estas lentes ejercen una presión suave y controlada sobre la córnea, con el fin de remodelar temporalmente su curvatura. El propósito de este proceso es permitir una visión clara y nítida durante el día, en un principio puede requerir complementarse con usar gafas o lentes de contacto convencionales, posteriormente es posible que desaparezca esta necesidad.

Ingresa aquí para ver el artículo completo
Sus orígenes se remontan a la década de 1960, cuando se presentaron las primeras ideas para modificar la forma corneal con lentes de contacto. Sin embargo, el tratamiento ha experimentado una notable evolución y ha ganado una gran popularidad en las últimas dos décadas, impulsado por los avances en materiales de alta permeabilidad al gas y por el desarrollo de diseños de geometría inversa, que permiten una aplicación más segura y eficaz.
La propuesta de valor central de la ortoqueratología radica en su capacidad para ofrecer libertad visual diurna. (1) Esta característica es especialmente valiosa para individuos con estilos de vida activos, deportistas o profesionales que requieren una agudeza visual sin ayudas ópticas. (1) Un aspecto fundamental y distintivo del tratamiento es su completa reversibilidad. Si el uso de las lentes se suspende, la córnea recupera gradualmente su forma original, y el error refractivo retorna, (2) lo que a su vez permite la transición a otras formas de corrección visual o incluso posteriormente revisar la posibilidad de cirugía refractiva si la graduación se estabiliza.
El funcionamiento de la ortoqueratología se basa en la flexibilidad natural de la córnea. El proceso de remodelación se logra mediante una lente de contacto rígida permeable al gas, con un diseño de curva o geometría inversa. Este diseño aplanado en su centro ejerce una presión hidrodinámica suave y controlada que redistribuye las células epiteliales de la superficie corneal. (3)
El impacto de este proceso a nivel histológico se limita a la capa superficial del ojo. La evidencia científica documenta un adelgazamiento del epitelio corneal en la zona central, con una reducción de entre 10 y 20 micras o del 7.3%, mientras que se produce un engrosamiento compensatorio en la región paracentral del 13%, por una acumulación de células epiteliales. Es de suma importancia destacar que este modelado no afecta las capas más profundas de la córnea, como la membrana de Bowman o el estroma. Esta característica subraya la naturaleza no invasiva y, por ende, la reversibilidad total del tratamiento.

La ortoqueratología es utilizada para corregir la miopía, los diseños aprobados por la FDA tienen rangos de eficacia que abarcan desde -1.00 hasta -8.00 dioptrías, aunque el rango óptimo se encuentra entre -1.00 y -4.00 dioptrías. También, se ha demostrado su utilidad para el astigmatismo, con diseños también aprobados por la FDA y una corrección efectiva de hasta -1.75 dioptrías, (4) e incluso para la hipermetropía, con un rango de hasta 3.5 o 4 dioptrías, si bien la corrección de estos últimos defectos visuales puede ser más compleja. (5) Sin embargo, el profesional de la salud visual deberá implementar un buen criterio clínico para discernir qué pacientes pueden o no ser tratados bajo esta modalidad y evaluar los riesgos.
El éxito de la ortoqueratología depende en gran medida de la selección rigurosa del paciente. (6) Los candidatos ideales son quienes buscan una visión clara sin la restricción de las gafas, como los deportistas, pilotos o policías, aunque se les debe hacer conscientes sobre las expectativas reales a alcanzar en este tratamiento. (1) Asimismo, puede ser una solución para personas con ojo seco que no toleran las lentes de contacto blandas convencionales.
La ortoqueratología está contraindicada en pacientes con patologías inflamatorias del polo anterior del ojo,

como queratitis o conjuntivitis, que cursen con riesgo o infecciones activas, así como en aquellos con alteraciones estructurales de la córnea, como ectasias corneales primarias, úlceras, defectos o compromisos del epitelio corneal. La alta motivación y la disciplina del paciente son factores esenciales para garantizar la adherencia a los protocolos de uso e higiene, que son críticos para la seguridad del tratamiento. (6)
La adaptación exitosa de lentes Orto-K requiere una evaluación clínica minuciosa que va mucho más allá de la refracción, involucra los anexos oculares y evaluaciones del segmento anterior. En la medida de lo posible, se debe considerar en la historia clínica, el estado de la visión binocular, el diámetro pupilar, la topografía y biomecánica corneal, así como la longitud axial. (3) Es importante también involucrar activamente al paciente y a sus cuidadores asegurando una comunicación sobre expectativas, riesgos y beneficios.
La miopía y sus opciones de gestión y/o de ralentización deben ser prioridad en nuestros consultorios, ya que el impacto negativo en el segmento posterior ocular puede ir desde la elongación de la longitud axial, adelgazamiento, riesgo de perforación, desgarro y/o desprendimiento retiniano, incluyendo otras estructuras oculares, comprometiendo así seriamente la salud visual e integridad ocular del paciente.
La ortoqueratología no solo ayuda a ver bien durante el día sin usar gafas, sino que también sirve para controlar el avance de la miopía, especialmente en niños y adolescentes. Estudios científicos respaldan la hipótesis de que la miopía progresiva está asociada con el desenfoque hipermetrópico periférico, una señal óptica que estimula el crecimiento axial del globo ocular. Las lentes Orto-K corrigen este problema al cambiar la forma de la córnea, ayudando a que la miopía avance más despacio. Esto es importante porque así se reduce el riesgo de problemas graves como adelgazamiento, riesgo de perforación, desgarro y/o desprendimiento retiniano, comprometiendo así seriamente la salud visual e integridad ocular del paciente.
La Orto-K se considera una opción idónea para niños (a partir de los 6 años) y adolescentes cuya miopía está en progresión. Estudios científicos han demostrado que el tratamiento con Orto-K puede reducir la progresión de la miopía entre un 40% y un 60%, con algunas investigaciones que sugieren tasas de hasta un 80%, cuando se utiliza de forma dual con otras intervenciones como las gotas de atropina en baja concentración. (7)


Por Catlin Nalley editora colaboradora
Este artículo fue publicado y traducido bajo los términos de la licencia de Creative Latin Media con Jobson Healthcare Information. Queda estrictamente prohibida su reproducción total o parcial.
En una era de avances clínicos y expectativas crecientes, las lentes de contacto han pasado de ser una solución refractiva básica a convertirse en herramientas transformadoras para enfermedades corneales, rehabilitación visual y control de la miopía. La transición de una práctica general a una consulta especializada exige pasión, disciplina y voluntad de aprendizaje continuo.
Historias como la del Dr. Steven Sorkin, quien fortaleció su práctica mediante colaboración con especialistas en córnea, o la de la Dra. Lindsay Sicks, que consolidó su camino gracias a una residencia, muestra que no existe un único recorrido. Otros, como la Dra. Melanie Frogozo, evidencian que la reinvención es posible: tras una residencia y años de práctica, transformó su clínica en un centro donde el 85% de los ingresos provienen de lentes especiales.
El Dr. Clark Chang y el Dr. Langis Michaud coinciden en que la especialización no siempre se define desde el inicio; puede surgir conforme se detectan necesidades clínicas y se construye reputación con constancia y resultados.
La formación continua es la piedra angular. Asociaciones como la American Academy of Optometry (AAO), la American Optometric Association (AOA) y la Scleral Lens Education Society ofrecen credenciales, seminarios web y mentorías. Congresos como el Global Specialty Lens Symposium y el International Congress of Scleral Contacts permiten actualizar conocimientos y fortalecer redes profesionales.
El Dr. Mile Brujic subraya que el crecimiento no termina tras la universidad: “El verdadero aprendizaje ocurre a lo largo de la carrera”. Ini-

ciativas como el Scleral Consultative Institute, cofundado por él, muestran cómo la educación entre colegas impulsa a profesionales de todos los niveles.
Además de cursos formales, los recursos autodidactas como manuales (Bennett, Weissman, Efron) y guías digitales (van der Worp, Barnett y Fadel) son herramientas de consulta indispensables.
El montaje de una consulta especializada requiere una planificación estratégica: ajustar el flujo de pacientes, formar al personal, invertir en equipos diagnósticos y diseñar sistemas administrativos sólidos. Entre los equipos esenciales destacan el tomógrafo corneal, OCT de segmento anterior, perfilómetro y aberrometría, además de biómetros para control de miopía.
La capacitación del staff es igualmente crítica. La Dra. Frogozo, por ejemplo, entrena a su equipo para dominar desde inserción de lentes hasta interpretación de OCT, garantizando eficiencia y calidad. En cuanto a la facturación, enfatiza la documentación rigurosa bajo el esquema SOAP, recordando que “no es cuánto se factura, sino cuánto se conserva”
La especialización no solo se construye en la sala de consulta, sino también en la comunidad. La Dra. Sicks recomienda combinar la comunicación directa con colegas con presencia activa en redes sociales y materiales educativos. Ejemplos como la Dra. Caitlin Morrison (@ eyesplain) muestran el impacto de educar digitalmente al público.
Aunque la especialización conlleva demandas emocionales y altas expectativas, los beneficios clínicos y humanos son invaluables. El Dr. Sorkin resalta la satisfacción de ayudar a pacientes complejos y construir relaciones duraderas. Para el Dr. Michaud, las lentes especiales integran todas las áreas de la optometría, mientras que la Dra. Frogozo recuerda que los pacientes con enfermedades visuales crónicas requieren empatía y autocuidado del médico.


Este artículo fue publicado y traducido bajo los términos de la licencia de Creative Latin Media con Jobson Healthcare Information. Queda estrictamente prohibida su reproducción total o parcial.
El sector de las lentes de contacto en las consultas independientes puede ser complejo, ya que compiten con los minoristas en línea y necesitan encontrar maneras de evitar que los pacientes abandonen sus lentes. A continuación, lo que ha funcionado para tres colaboradores de ROB que mantienen a los pacientes satisfechos y aumentan las ventas.
Los pacientes con presbicia están ansiosos por encontrar soluciones. Muchos, también, están motivados para seguir usando lentes de contacto, otros nunca han tenido gafas y no desean usarlas. Para la mayoría, las lentes de contacto multifocales podrían controlar la presbicia y mi práctica brinda esa atención.
Mi consultorio lleva tres años, así que seguimos ampliando nuestros pacientes, incluyendo a los présbitas. Supongamos que ofreces un nuevo lente de contacto multifocal a dos pacientes por semana y cobras $150 por una evaluación. La rentabilidad de cada uno puede oscilar entre $30 y $50 por caja.
Entonces, si un consultorio consigue lentes multifocales para dos pacientes nuevos por semana y, pide, incluso, un su-
ministro de seis meses de lentes, esa sería una tarifa de adaptación de $150 por persona, más una ganancia de $80 por dicho suministro dando un total de $460/semana brutos que el dueño del consultorio podría haber perdido si simplemente no ofrecía las lentes.
La ganancia de $80 por seis meses se debe a que un suministro anual (12 meses, es decir, 4 cajas) genera una ganancia de $140 (dependiendo del costo de los bienes vendidos y del precio establecido). Por lo tanto, con solo seis meses (2 cajas), es la mitad de esa cantidad y logra esa ganancia de $80. Ahora supongamos que pudieran hacer eso con un paciente al día y que trabajara 263 días hábiles al año ($230 x 263 días= $60,490). Esa cifra sería aún mayor para un lente multifocal diario.
La mayoría de las principales compañías de lentes de contacto tienen sus propios lentes multifocales. CooperVision y Bausch+Lomb también ofrecen lentes multifocales tóricas mensuales y es donde existe el mayor potencial de crecimiento. Un estudio reciente de DeNovo Research Solutions sugiere que hasta el 92% de los pacientes con astigmatismo y presbicia estarían dispuestos a comprar una lente multifocal tórica si se lo recomendara su oftalmólogo mientras que el 91% tienen una mejor impresión de su lente de contacto después de haberlo probado. Personalmente, he observado un gran entusiasmo de los pacientes al presentarles estos productos.

Dar la opción de lentes de contacto multifocales ha sido mi mejor estrategia de marketing. Sigo animando a los pacientes, incluso a aquellos que nunca pensaron en usar lentes de contacto, a adaptarse y comprarlos con éxito. Digamos que tenemos un paciente con presbicia tórica y, sé que puedo obtener sus parámetros con una lente de contacto, le pregunto si alguna vez ha considerado usar lentes de contacto, y si no muestra interés, sigo adelante, sin embargo, si hay indicio de interés, le coloco un lente de contacto para que experimente cómo podría ser su visión.
Siempre tendrán una visión más nítida y uniforme con sus gafas, y podemos lograr mucho con el policarbonato o el trivex, así como con lentes antirreflejantes, bloqueadores de luz azul y otros tratamientos para lentes, algo que aún no podemos hacer con las lentes de contacto. Si ven al 100% con sus gafas, el obje-
tivo es alcanzar el 80% con las lentes de contacto multifocales. He descubierto que las tres cosas más difíciles para los pacientes con lentes de contacto multifocales son: restaurantes con poca luz, etiqueta de los envases y la letra pequeña de un libro.
Todo lo demás debería estar bastante claro, desde la compra hasta la limpieza, pasando por la cocina y disfrutar de los fines de semana en familia, aunque, quizá, tengamos que ajustar un poco la prescripción, y eso es normal. Pero, también explico que la visión es simultánea, ya que las lentes de contacto de anillo concéntrico son diferentes a las lentes progresivas.
La sala de examen no toma mucho tiempo
Entiende que el paciente puede tener preguntas, y eso está bien. Siempre que siento que está tomando más tiempo del que me gustaría, recuerdo que le estamos ofreciendo algo nuevo. Los pacientes que usan lentes de contacto vienen con más frecuencia a los exámenes que los pacientes que solo usan anteojos. Siempre es genial que un nuevo paciente diga que a su amigo, cónyuge o hermano le adaptaron las lentes de contacto multifocales en nuestra oficina, ¡y ahora quiere probarlos!

Por Angela R. Suárez M.
“Lo que no se mide no se controla y lo que no se controla no se puede mejorar y tiende a desaparecer”. Esta frase no es solo un recordatorio contundente, sino el fundamento de innumerables historias empresariales donde los números han sido decisivos para la supervivencia y el crecimiento.
En los negocios, al igual que en la vida, los números cuentan una historia. Sin embargo, la clave no reside en acumular cifras, sino en comprender qué significan, cómo interpretarlas y qué decisiones estratégicas tomar a partir de ellas.
Muchas empresas se limitan a recopilar datos de ventas, gastos o clientes, pero pocas logran transformar esa información en un verdadero motor de crecimiento. La diferencia crucial no es la cantidad de datos, sino la capacidad de saber qué medir, cómo hacerlo y qué acciones emprender con esa información.
Consideremos una compañía que, mes tras mes, celebra sus cifras de ventas e ingresos. A primera vista, podría parecer un negocio próspero. No obstante, detrás de esos resultados pueden ocultarse procesos ineficientes, la silenciosa partida de clientes y costos que aumentan sin control.
El error más común es confundir la mera posesión de cifras con tener un control efectivo. Las métricas básicas revelan resultados, pero no explican las causas de esos resultados ni la dirección futura que indican.
No todo lo que se mide importa… y no todo lo que importa se mide. Una de las claves fundamentales radica en la habilidad de diferenciar entre:
• Métricas: son los datos operativos que reflejan lo que sucede en el día a día del negocio.
• KPIs (Key Performance Indicators o Indicadores Clave de Desempeño): son métricas estratégicas que señalan si la empresa avanza en la dirección correcta hacia sus objetivos.
• KPOs (Key Performance Objectives u Objetivos Clave de Desempeño): representan las metas ambiciosas y estratégicas que alinean al negocio con su visión a largo plazo y su futuro.
El giro
de métricas a indicadores clave
El verdadero cambio transformador ocurre cuando una empresa logra hacer esta distinción y la aplica en su gestión. Por ejemplo:
Métrica El tiempo promedio de entrega de los trabajos es de 5 días.
Este dato describe una realidad.
KPI Establecer como objetivo táctico reducir el tiempo promedio de entrega a 3 días en un trimestre.
Esto convierte la métrica en un indicador medible de desempeño.
KPO: Definir como declaración estratégica “Ser la óptica y/o laboratorio oftálmico más rápido en la región”.
Esto alinea el KPI con una visión de futuro más amplia.
La diferencia entre estos conceptos, aunque sutil en su definición, es trascendental en la práctica: el negocio evoluciona de ser un mero observador de lo que sucede a convertirse en un director activo de lo que quiere que suceda.
Las empresas que han adoptado esta visión estratégica no solo construyen tableros de control más completos, sino que obtienen beneficios significativos:
• Logran detectar patrones ocultos que antes pasaban desapercibidos, revelando oportunidades y riesgos.
• Consiguen priorizar acciones que generan un impacto real y medible en los clientes y en los resultados del negocio.
• Son capaces de traducir los datos en decisiones estratégicas de alto valor, más allá de la simple generación de reportes.
En definitiva, en estas compañías, los números dejaron de ser meras cifras para convertirse en estrategia. Medir lo correcto permite:
• Detectar oportunidades de crecimiento.
• Tomar decisiones basadas en datos y no en intuición.
• Priorizar recursos donde realmente generan impacto.
• Construir un negocio más rentable, sostenible y competitivo.
Del dato a la acción: la clave está
El verdadero valor de los indicadores no reside únicamente en los números, sino en la acción que estos impulsan. Una empresa que solo analiza métricas sin actuar es como un piloto que observa el tablero, pero nunca interactúa con los controles.
La diferencia radica en implementar estrategias claras y directas:
• Retención de clientes en descenso: ¿Qué programas de fidelización pueden activarse para revertir esta tendencia?
• CAC (Costo de Adquisición de Cliente) elevado: ¿Cómo se pueden optimizar las campañas digitales para reducirlo?
• Margen bruto disminuido: ¿Qué ajustes son necesarios en costos o precios para mejorar la rentabilidad?
El camino hacia la mejora continua
Medir, analizar, implementar y volver a medir. Ese es el ciclo que impulsa la mejora continua. Cada cifra es una señal que guía tus pasos hacia el crecimiento. Recuerde: no se trata de tener más datos, sino de tener los datos correctos y usarlos para transformar tu negocio.
En un mundo cada vez más competitivo, medir lo correcto no es una opción, es una necesidad. Los negocios que entienden esta diferencia construyen una ventaja sostenible: no se conforman con tener información, sino que la convierten en dirección, claridad y futuro.
Adoptar una cultura de medición consciente no es una tarea opcional; es una necesidad para cualquier negocio que quiera crecer y mantenerse vigente. Empieza hoy a identificar tus métricas, definir KPIs y conectar tus acciones con los KPOs. Porque lo que no se mide, se pierde. Y lo que se mide con propósito, se convierte en la clave de tu éxito.


La integración de la inteligencia artificial (IA) en la tecnología de los lentes de contacto está transformando el panorama de la salud visual y la innovación en dispositivos médicos. Lo que hace apenas una década parecía ciencia ficción, hoy comienza a materializarse en laboratorios y empresas de tecnología óptica alrededor del mundo.
El concepto central se basa en lentes de contacto inteligentes capaces de recopilar información en tiempo real del ojo y del entorno. Estos dispositivos, que incorporan sensores ultrafinos y circuitos flexibles, pueden medir parámetros como la presión intraocular, la composición de la lágrima o el nivel de glucosa en pacientes diabéticos, transmitiendo los datos a plataformas basadas en IA que los procesan y generan alertas tempranas. De esta manera, se abre un horizonte para el monitoreo continuo de patologías como el glaucoma o el ojo seco, con un enfoque mucho más preciso y personalizado.
Más allá del ámbito clínico, las grandes compañías tecnológicas exploran aplicaciones en realidad aumentada y asistencia visual. Lentes de contacto con microdisplays y algoritmos de IA permitirían proyectar información directamente en el campo de visión del usuario, optimizando experiencias en navegación, lectura, entrenamiento deportivo o incluso en la práctica quirúrgica.
Aunque todavía existen retos importantes —desde la miniaturización de componentes hasta la biocompatibilidad y la regulación sanitaria—, los avances son prometedores. Investigaciones recientes demuestran que los sensores integrados pueden funcionar de manera estable en ambientes húmedos y en contacto directo con la superficie ocular, mientras que los sistemas de IA evolucionan para interpretar datos con mayor exactitud y velocidad.
La convergencia entre inteligencia artificial y lentes de contacto anuncia una nueva era en el cuidado visual: dispositivos que no solo corrigen la visión, sino que la potencian, la protegen y la conectan con un ecosistema digital de salud. Para los profesionales de la optometría y la oftalmología, se trata de un campo en expansión que exigirá capacitación, regulación y una visión estratégica para integrar estas soluciones en la práctica clínica.
El futuro está cada vez más cerca, y probablemente lo veremos a través de un lente de contacto.



Por Howard Purcell,
OD, FAAO, Diplomado, AAO y FNAP, y Randall Case, PhD
Este artículo fue publicado y traducido bajo los términos de la licencia de Creative Latin Media con Jobson Healthcare Information. Queda estrictamente prohibida su reproducción total o parcial.
La frase “La IA asistirá, no reemplazará” se repite con frecuencia en salud visual, pero su uso excesivo ha ocultado una transformación más profunda. A diferencia de herramientas pasivas como el foróptero, la IA opera de forma ambiental, analizando datos y generando información sin intervención directa. Esta presencia silenciosa está modificando no solo el trabajo de los profesionales de la visión (ECPs), sino también su forma de pensar y tomar decisiones clínicas.
El razonamiento clínico tradicional, basado en la experiencia y el reconocimiento de patrones, ahora se complementa con inferencias estadísticas y modelos predictivos. Surge así un nuevo diálogo entre humano y máquina, que exige redefinir la experiencia clínica y la formación profesional.
Los ECPs ya no son los únicos intérpretes de señales diagnósticas. Interactúan con sistemas inteligentes en ciclos de retroalimentación continua. Esto requiere habilidades para interpretar resultados probabilísticos, reconocer sesgos y comprender cómo la IA expresa incertidumbre. No se trata de formar ingenieros, sino de ampliar la alfabetización en datos y pensamiento crítico.
Además, se necesita una nueva mentalidad. La superioridad de la IA en tareas específicas —como el análisis de imágenes retinianas o la detección temprana de patologías— puede generar inseguridad o re-
sistencia. Por eso, la metacognición se vuelve esencial: reflexionar sobre el propio juicio clínico y cómo este se ve influido por las recomendaciones algorítmicas.
En este entorno híbrido, lo que distingue al profesional no es solo su capacidad analítica, sino su habilidad para conectar, contextualizar y cuidar. La empatía, la presencia, la narración y la construcción de confianza son pilares irremplazables. El profesional debe traducir datos complejos en planes de atención comprensibles y compasivos, alineados con las necesidades individuales del paciente.
La educación optométrica debe evolucionar. Las habilidades relacionales y comunicativas deben tener el mismo peso que la anatomía o la farmacología. Juegos de rol, simulaciones y estudios de caso deben ocupar un lugar central, preparando a los estudiantes para explicar, interpretar y acompañar al paciente en decisiones compartidas.
Llamado a la acción: las instituciones educativas deben actuar con decisión. Esto implica:
1.- Rediseñar currículos, integrando la IA como eje transversal en diagnóstico, ética y comunicación.
2.- Crear entornos de aprendizaje inversivos, con simulaciones que reflejen la colaboración entre paciente, profesional y máquina.
3.- Capacitar al profesorado, brindando tiempo y recursos para liderar esta transformación.
La atención clínica del futuro ya está en marcha. Solo quienes inviertan en innovación y formación estarán preparados para moldearla.
Por
Juliana Velásquez, editora 20/20 en Español.

Más allá de la moda: la ciencia, la identidad y la tecnología detrás de cada lente
En el mundo de la óptica, pocas cosas son tan fascinantes como el proceso detrás del diseño de un par de lentes. Lo que a simple vista parece un accesorio cotidiano es, en realidad, el resultado de una combinación magistral entre ciencia, ingeniería, estética y estilo de vida. Cada curva del armazón, cada elección de material y cada detalle en la geometría de la lente está pensado no solo para corregir la visión, sino para acompañar la forma en que nos mostramos ante el mundo.
Hoy, hablar de diseño de lentes y armazones ya no se limita a la moda. Se trata de comprender cómo la óptica se convierte en un punto de encuentro entre innovación tecnológica, identidad personal y salud visual. Los usuarios buscan que sus gafas sean una extensión de ellos mismos, al mismo tiempo que esperan que les ofrezcan confort y durabilidad. Y en este equilibrio, encontramos tres grandes razones que explican por qué el diseño es la esencia de los lentes modernos.
La primera razón tiene que ver con la funcionalidad y ergonomía. Los armazones actuales no son únicamente estructuras que sostienen una lente: son soluciones de ingeniería que buscan hacer del uso diario una experiencia confortable. El peso, la forma de las varillas, la flexibilidad de los materiales y la manera en que se adaptan a la fisionomía del rostro determinan si un lente se convertirá en un aliado cotidiano o en un accesorio olvidado en el cajón.
En los últimos años, los fabricantes han apostado por materiales ultraligeros como el titanio, polímeros de alta resistencia o acetatos mejorados que garantizan durabilidad sin sacrificar estética. Las bisagras con memoria, las varillas flexibles y los diseños adaptados a distintas formas de nariz son avances que responden directamente a la necesidad de un uso prolongado sin molestias. Un diseño ergonómico, al final, asegura adherencia: el paciente que se siente cómodo con sus lentes es aquel que cumple con su prescripción y mantiene su salud visual protegida.
La segunda razón es la expresión de identidad. Los lentes se han convertido en un lenguaje silencioso de estilo, en un signo de personalidad y confianza. Elegir un armazón ya no es solo elegir un accesorio médico, sino un acto de autoafirmación. Desde los diseños sobrios que transmiten profesionalismo hasta los modelos atrevidos que hablan de creatividad y energía, cada par de lentes cuenta una historia.
Las tendencias actuales reflejan esta diversidad: monturas oversize que evocan glamour retro, modelos minimalistas en metal que transmiten elegancia discreta, acetatos traslúcidos que juegan con la luz, o combinaciones de colores intensos que buscan romper esquemas. La óptica, en este sentido, ya no es únicamente un espacio de corrección visual, sino también un escenario de exploración estética. El paciente busca en los lentes una
extensión de su marca personal, y el diseño responde a ese deseo con colecciones cada vez más inclusivas, diversas y adaptadas a públicos heterogéneos.
La tercera razón está en la innovación tecnológica aplicada al diseño. Nunca antes la ciencia y la moda habían estado tan entrelazadas como hoy en la creación de lentes. La impresión 3D ha permitido fabricar armazones personalizados, adaptados a las medidas exactas del rostro de cada paciente. Los materiales inteligentes con memoria de forma ofrecen resistencia y flexibilidad, mientras que los acetatos ecológicos responden a la creciente conciencia ambiental de los consumidores.


Por su parte, las lentes oftálmicas también han sido transformadas por el diseño digital. Hoy es posible personalizar la geometría de la lente según la forma en que el paciente mira, sus hábitos visuales o incluso su postura. Se desarrollan lentes diseñadas específicamente para quienes pasan largas horas frente a pantallas, para conductores nocturnos o para niños en control de miopía. Este nivel de personalización demuestra que el diseño ya no es un lujo estético, sino una herramienta clínica que eleva la calidad de vida.
En conjunto, estas tres razones nos muestran que el diseño de lentes es mucho más que una tendencia pasajera: es el corazón de una industria que responde a la evolución del consumidor moderno. Porque hoy, elegir unos lentes no es únicamente una decisión médica; es una declaración de quiénes somos, cómo vivimos y cómo queremos ver el mundo.
La óptica que logre transmitir esta historia a sus pacientes tendrá en sus manos una ventaja competitiva invaluable. No se trata solo de ofrecer un producto, sino de invitar a las personas a descubrir que, detrás de cada lente, hay un universo de investigación, innovación y creatividad. Una invitación a ver con nitidez, pero también a mostrarse con autenticidad.
Al final, los lentes y armazones no son meros accesorios: son símbolos de identidad, herramientas de salud y piezas de diseño que conectan la ciencia con el arte. Y es precisamente en esa intersección donde reside su verdadero poder.


Revisa la galería de imágenes aquí

La segunda edición del Summit VisionyOptica™ superó las expectativas y se consolidó como la cita de referencia para la salud visual en México y Latinoamérica. Organizado por Visión y Óptica junto con IMEVI, esta alianza reafirma su propósito de fortalecer el ecosistema profesional en toda la región. Durante tres días de intensa actividad académica y comercial, el encuentro reunió a más de 1,300 asistentes de distintos países y ofreció más de 105 conferencias, simposios y talleres distribuidos en cuatro salones temáticos: Ciencias de la Visión,
Optometría Pediátrica, Óptica y Gestión y Laboratorios, diseñados para responder a las necesidades de profesionales, estudiantes y actores de la industria.
Asimismo, la presencia de 49 patrocinadores y aliados evidenció el respaldo del sector, con exhibiciones y experiencias que marcaron tendencia en innovación tecnológica, equipamiento, lentes oftálmicas y servicios de valor. El Summit VisionyOptica™ se consolida no solo como un congreso académico, sino como una plataforma integral de relacionamiento y negocios para toda la comunidad de la salud visual.
En palabras de su directora académica, la doctora Patricia García, “cada simposio, sesión, conferencia o taller fue cuidadosamente diseñado y preparado para fortalecer el criterio clínico, fomentar la innovación interdis-

ciplinaria y desarrollar nuevas estrategias y habilidades en beneficio de los pacientes y de los clientes de la óptica, que son finalmente la razón de ser nuestra profesión. Como directora académica, me enorgullece ser testigo del entusiasmo, la excelencia y el espíritu colaborativo que definen este Summit. Agradezco a cada profesional que ha elegido este camino de actualización y liderazgo, y muy especialmente al L.O. Salvador González director de la Licenciatura de Optometría de la Universidad Autónoma de la Laguna por su apoyo y aval en la construcción de todo el programa académico”.
El programa académico se distinguió por su riqueza temática y la calidad de sus ponentes. Se abordaron avances en la corrección de la presbicia, el poder de los filtros terapéuticos, las enfermedades degenerativas y la baja visión; además, se presentaron nuevas perspectivas en optometría pediátrica, con énfasis en el control de la miopía, y desarrollos en contactología especializada y lentes esclerales.
En el Salón de Ciencias de la Visión, seis simposios profundizaron en superficie ocular y factores ambientales, enfermedades degenerativas, neurorehabilitación visual, evolución de los lentes de contacto, nutrición y bienestar ocular y orto-k. También, se integraron foros sobre la importancia de la salud visual en la salud pública y conferencias sobre la relación entre visión, productividad y calidad de vida.
El Salón de Optometría Pediátrica reunió sesiones sobre neurodesarrollo visual infantil, tamizaje visual neonatal, contactología pediátrica, ambliopía, estrabismo y miopía, con talleres prácticos en terapia visual y evaluación del aprendizaje, reforzando la atención temprana y la prevención.
En el Salón de Óptica y Gestión, especialistas en marketing, liderazgo y experiencia del cliente analizaron la evolución de los modelos de negocio, la digitalización del punto de venta, la gestión consciente y la integración de la recomendación clínica con la estrategia comercial. Paralelamente, el espacio de Laboratorios ofreció una mirada técnica e industrial sobre calidad de materiales, sostenibilidad, optimización de procesos y capacitación continua como motor de innovación.
El Summit VisionyOptica™ 2025 se consolidó como un punto de encuentro donde la ciencia se traduce en soluciones prácticas para la clínica y la salud pública. Entre las participaciones desta-




cadas, están: la Dra. Valeria Sánchez Huerta (APEC) lideró el foro “Visión para todos: por la salud visual a lo largo de la vida”; el Dr. Raúl Suárez (Instituto Médico de la Visión) expuso sobre visión, trabajo y productividad; la Dra. Silvia Moguel abordó neurodesarrollo visual y parálisis oculomotoras; el Dr. Tito Gómez profundizó en queratocono infantil; y el Dr. Eduardo Chávez Mondragón analizó los retos diagnósticos y terapéuticos de las cataratas. La salud visual pediátrica tuvo un rol central con el Dr. Martín Gallegos y la Dra. Vanessa Bosch, quienes presentaron innovaciones en ambliopía, estrabismo y control de la miopía.
Más allá del componente clínico, la agenda integró gestión empresarial y sostenibilidad de la práctica profesional, con estrategias de rentabilidad para ópticas y laboratorios e innovaciones en la cadena de valor. La combinación de simposios, conferencias magistrales y talleres prácticos ofreció una experiencia completa, donde ciencia y práctica se encontraron para impulsar la actualización continua de la comunidad oftalmológica y optométrica.
La industria fue uno de los pilares del evento, con 49 empresas comprometidas con la innovación. Laboratorios, fabricantes de lentes oftálmicos y de contacto, desarrolladores de equipos diagnósticos, proveedores de insumos para laboratorios y casas de armazones presentaron tecnologías que están transformando la práctica visual. Su participación reflejó la fuerza, diversidad y dinamismo del mercado, así como el compromiso con el desarrollo científico, tecnológico y humano de la salud visual.
Durante los tres días, las marcas compartieron productos, soluciones y tendencias que definen el futuro del sector y fortalecieron vínculos con profesionales, instituciones y asociaciones de toda la región. En un ambiente de colaboración, el Summit se posicionó como convergencia entre innovación empresarial y excelencia clínica, impul-
sando alianzas estratégicas y nuevas oportunidades de crecimiento. Próximamente se publicarán entrevistas exclusivas con líderes del sector, con perspectivas y avances que marcarán el rumbo de la industria óptica en los próximos años.
Encuentro de Laboratorios y reconocimiento
Bajo la coordinación de Ángela Rocío Suárez, el Encuentro de Laboratorios mostró la transformación del sector oftálmico, impulsada por la tecnología, la sofisticación de la demanda y la alineación con estándares internacionales. Se enfatizó la necesidad de adaptación y crecimiento, integrando soluciones que optimicen la producción, garanticen la calidad y promuevan la diferenciación mediante productos innovadores (como recubrimientos especiales).
El capital humano se reconoció como motor de excelencia: capacitación continua, cultura organizacional sólida y desarrollo de talento para responder a los retos del mercado. La optimización de procesos se destacó como clave para mejorar la eficiencia y satisfacción del cliente. Finalmente, se subrayó que la rentabilidad debe avanzar de la mano de la responsabilidad social y la sostenibilidad, adoptando prácticas ecológicas acordes con un consumidor cada vez más consciente.
El Premio Laboratorio del Año SIOU, entregado durante el Summit VisionyOptica™ 2025, representa el más alto reconocimiento al compromiso, la innovación y la excelencia dentro de la industria óptica latinoamericana. Este galardón, patrocinado por SIOU, busca destacar a los laboratorios que impulsan el desarrollo del sector a través de la mejora continua, la implementación de nuevas tecnologías y la formación de talento especializado. Más que un trofeo, es un símbolo de liderazgo y una inspiración para quienes tra-
bajan por elevar los estándares de calidad y servicio en la óptica.
En esta edición, EUROLAB, Desarrollos Tecnológicos Ópticos (DTO) y Rosedal fueron reconocidos por su sobresaliente trayectoria, capacidad de adaptación y visión de futuro. Cada uno de ellos refleja el espíritu que SIOU busca promover con este premio: la construcción de una industria sólida, sostenible y basada en la colaboración. A través de este reconocimiento, SIOU reafirma su compromiso con el fortalecimiento del ecosistema óptico, incentivando a más laboratorios a seguir innovando y a continuar aportando valor a la salud visual de la región.


Desde la organización agradecemos a asistentes, conferencistas, patrocinadores, instituciones académicas y asociaciones por hacer posible esta segunda edición. El éxito del encuentro es fruto del trabajo colaborativo y del compromiso de una comunidad que comparte un objetivo común: elevar el nivel científico, promover la innovación y fortalecer la industria en beneficio de los pacientes.
Este respaldo reafirma la visión del Summit como un espacio que trasciende la capacitación para convertirse en punto de encuentro donde nacen alianzas, se generan oportunidades de negocio y se consolidan proyectos de impacto regional. Con el entusiasmo renovado, la invitación queda abierta para la tercera edición del Summit VisionyOptica™, que proyecta nuevas sorpresas, mayores oportunidades de actualización y un firme compromiso de seguir transformando la manera en que se entiende, se gestiona y se cuida la salud visual en Latinoamérica.

La industria óptica inicia una nueva era en 2026
Vision Expo West 2025 cerró su historia en Las Vegas con una edición vibrante que reunió innovación, educación y networking, anunciando al mismo tiempo un cambio trascendental para la industria óptica mundial.
Vision Expo West 2025 marcó un hito histórico al despedirse de Las Vegas, ciudad que por décadas fue el escenario de uno de los encuentros más relevantes para el sector. Del 17 al 20 de septiembre, cerca de 10.000 profesionales de 80 países, se dieron cita en un evento que reunió a más de 340 marcas y empresas, consolidándose como un
espacio único de innovación, alianzas y actualización académica. Con un 34% de nuevos asistentes y más de la mitad de ellos tomadores de decisión, Vision Expo West dejó en claro su poder de convocatoria en el último capítulo de este formato regional.
El piso de exhibición fue testigo de propuestas que reflejan la transformación del sector: desde el LaunchPad Showcase, donde startups presentaron avances en inteligencia artificial, realidad aumentada y virtual, hasta el Indie Lab Speakeasy para laboratorios independientes y el NOW Design Showcase con competencias de diseño en vivo.
La agenda educativa, con más de 200 sesiones, abordó temas clave como la revolución de la IA en la atención visual, el manejo de la miopía, las innovaciones en lentes de contacto y los retos de inclusión en la práctica optométrica. A ello se sumaron eventos inspiradores como la premiación Most Influential Women in Optical, el desfile Flaunt the Frame y conferencias magistrales sobre el futuro de la óptica, y el ambiente de comunidad se respiró también en los espacios de networking.
Más allá de la experiencia en Las Vegas, la gran noticia fue el anuncio de un cambio estratégico: a partir de 2026 Vision Expo se celebrará como un solo evento global anual, comenzando en Orlando del 12 al 14 de marzo, para luego rotar entre Las Vegas en 2027 y Nueva York en 2028. Esta decisión, inédita desde los años ochenta, busca reunir en un mismo escenario a toda la comunidad internacional de la visión, ofreciendo un espacio más robusto para la innovación, la educación y las alianzas de negocio.
Así, Vision Expo West 2025 no solo fue una feria, sino un cierre simbólico que abrió la puerta a una nueva era para la industria óptica mundial.







El pasado 5 y 6 de septiembre, Bucaramanga se convirtió en el epicentro de la salud visual con la realización del 33° Congreso Nacional de Optometría FEDOPTO 2025, en el Centro de Convenciones Neomundo. Más de 1,700 asistentes participaron en dos días de formación, innovación y conexión gremial.
La industria respondió con fuerza: más de 30 casas comerciales se hicieron presentes en la muestra comercial, entre ellas:
• Grupo Colors
• EssilorLuxottica
• Hoya Colombia
• Austral Lens
• OP Team
• Megalens
• Coopervision
• Johnson & Johnson
• Restrepo Comercial
• Alcon
• Ital Lent
• Laboratorios Sophia
• Carl Zeiss
• World Vision Company
• Ferrati
• Presicion Lab
• Masterflex
• Keracom
• Servicios Ópticos Falcon
• Distribuidora Luze
El evento también contó con la participación de estudiantes, futuros optómetras y profesionales consolidados, quienes se sumaron a los talleres acreditados y módulos formativos que ofrecieron más de 120 horas de educación continua









Entre los conferencistas destacados estuvieron:
• Dr. Juan Carlos Arévalo experto en diagnóstico visual avanzado.
• Dra. María Fernanda Gómez especialista en optometría pediátrica.
• Dr. Andrés Ríos referente en neurooptometría.
• Dra. Carolina Méndez líder en salud visual comunitaria.
• Dr. Luis Felipe Torres conferencista internacional en manejo clínico.
La Revista 20/20 estuvo presente como medio aliado, cubriendo los momentos más relevantes del evento y acercando a sus lectores una mirada profunda sobre los avances, reflexiones y proyecciones que marcaron esta edición.
FEDOPTO 2025 fue más que un congreso, fue una plataforma de conexión, aprendizaje y proyección para todos los actores del mundo óptico… ¡Nos preparamos desde ya para lo que viene en 2026!


XIII Congreso de Optometría & Expoferia
7, 8 y 9 de noviembre Hotel Hilton, El Salvador
https://congreso.asopsv.com/

V Congreso Nacional e Internacional de Optómetras y Empresarios Ópticos
14 y 15 de noviembre Arequipa, Perú
https://www.facebook.com/ Goop2020

2do Congreso Internacional ORTOS 2025
14 y 15 de noviembre Bogotá, Colombia https://www.asociacionortos.com/ registro-congreso/

SILMO Estambul 2025
19 al 22 de noviembre Estambul, Turquía https://www.silmoparis.com/en/silmofamily/istanbul


BOSTON MATERIALS
USA
Phone: (800) 999-2678 www.bostonlensmaterials.com Email: CustSer@bausch.com
COBURN TECHNOLOGIES
USA
Tel.: 305 592 4705 Fax: 305 594 9058
ITAL - LENT LTDA
CO
Tel.: 571 745 44 45 info@ital-lent.com www.ital-lent.com
JOHNSON & JOHNSON ARG
Tel: 0800-444-2604
Web: www.acuvue.com.ar contactenos.ar@acuvue.com
Boston Materials 19
Coburn Tech 27
Ital Lent 25, 45
Johnson & Johnson 35
Satisloh 15
Transitions 3
younger optics Portada, 21

MEX
Transitions Optical, Inc.
Tel.: 55 51307310 www.transitions.com
YOUNGER OPTICS

USA
Tel: (305) 740 3458 / 761 6953
Fax: (786) 268 7036 eparra@youngeroptics.com
SATISLOH BR
Alameda Tocantins, 350Alphaville Industrial Loja 9 e 10 CEP 06455-020 - Barueri/SP
Tel.: +55 11 2930-8600
Email: info.br@satisloh.com


Ingresa a la y sorpréndete con el nuevo contenido



¡Conectamos con miles de profesionales de la salud visual


todos los días!

seguidores en total conectando con nuestras marcas
