Veterinariae 35/2023

Page 1

veterinari ae

/ Nº 35 / Invierno / 2023 / «De momento la inmortalidad sólo la han conseguido el plástico
las prótesis que se llevan los muertos a sus tumbas». (Manuel
Lucha contra el plástico y brindis por 2023
y
Vicent)
Revista del Colegio de Veterinarios del Principado de Asturias

3 Editorial

4 Veterinarias históricas

› María Fernanda Fernández Barros

6 Sobre el terreno

› «La importancia de las Redes de Vigilancia Epidemiológica», Enrique R. Nuño

8 Actividades colegiales

› Encuentros inter nos: Castropol , Tineo y Cangas de Onís

10 › Fiesta infantil de Navidad «El monstruo del revoltijo»

12 › «Campaña escolar por el bienestar animal y tenencia responsable de mascotas», Ana Bances

14 Colaboraciones

› «Festival Wild Oceans FilmFest celebrado en el Bioparc Acuario de Gijón», Susana Acle

16 Notas de prensa

› El Colegio de Veterinarios impulsa ante la consejería de Medio Rural la vacunación antirrábica para perros, gatos y hurones

Nuevas colegiaturas

› Carmen Rodríguez García

18 Primer premio Ignacio Menes 2022

› «Tratamiento con sildenafilo y evolución de un caso de megaesofago congénito idiopático canino», Jaime San José Vázquez

22 Fuera de hora

› Gabriel Tuset Fernández

Brindis por 2023

Querid@s colegas, Qué emocionante escribiros este editorial, tan distinto del de los últimos dos años, cuando el coronavirus condicionaba el futuro y hacía que cualquier previsión estuviese tamizada por la incertidumbre que representaba la pandemia.

Estas fiestas navideñas, sin embargo, son bien diferentes porque estamos pudiendo disfrutar de ellas y de reunirnos en familia sin poner en peligro a nuestros mayores, correctamente vacunados y protegidos frente a una enfermedad que hace poco obligaba a medidas de confinamiento y distancia social.

Ahora nos sentamos a la mesa y nos centramos en compartir y saborear, como hemos hecho siempre, un mercado agroalimentario extraordinario en higiene y calidad, en gran medida gracias a la impresionante labor del veterinario, siempre en la vanguardia de los programas de seguridad alimentaria.

Y aunque nuestro lema Hygia pecoris, salus populi es de una vigencia atemporal, resulta necesario recordar que también el veterinario supervisa las materias primas del campo, evitando que mircrobios o residuos puedan llegar a la cadena alimentaria.

Por eso nuestra profesión es la garante de que cualquier alimento destinado al consumo haya cumplido la normativa de aplicación, tanto en su producción, manipulación, como en su procesamiento o en su comercialización.

Especialmente estos días, cuando tomamos asiento junto a nuestros seres queridos, debemos sentir el orgullo de que los comestibles que entran en nuestras casas y en la de nuestros compatriotas, han superado unos estándares sanitarios y unos controles veterinarios elevadísimos.

En realidad, únicamente lo que ocurre en las cocinas particulares nos es ajeno, porque las de bares, restaurantes, hoteles y caterings, también son objeto de supervisión veterinaria.

Desde el Colegio, donde vivimos a flor de piel el amor y orgullo por nuestra profesión, no cejaremos en el empeño, un año más, de que el muy amplio e importantísimo papel que desarrollamos los veterinarios, tenga cada vez más visibilidad y reconocimiento en nuestra sociedad.

Con este permanente compromiso, damos fin a este emotivo editorial como lo empezamos: deseando que en vuestros hogares podáis disfrutar de estas fiestas en familia.

¡Brindamos por ello!

Y también por un 2023 cargado de salud, alegría y éxitos profesionales.

¡Feliz 2023!

Veterinariae número 35 (invierno, 2023)

Edita:

Colegio Oficial de Veterinarios de Asturias Junta de Gobierno:

Armando Solís Vázquez de Prada (presidente)

María Muñiz Galarza (vicepresidenta)

Ignacio Torcida Álvarez (secretario)

Enrique Valverde Rodríguez (tesorero)

David Iglesias García-Conde (vocal)

Rocío Quince Camino (vocal)

Dirige:

Pepe Monteserín

Secretaria: Elena Martín Berciano Portada: Mario Rojas

Diseño: Pandiella y Ocio Imprime: Artes Gráficas Eujoa D. L.: AS-3354/2014

Plaza de América, 10, 2º 33005 Oviedo. Principado de Asturias Tels.: 985 212 907 - 985 229 822 www.colegioveterinarios.net http://issuu.com/veterinariae colegio@colegioveterinarios.net

Queda prohibida la reproducción total o parcial del contenido de Veterinariae sin previa autorización escrita. La responsabilidad de los artículos, reportajes, comunicados, etc. recae exclusivamente sobre sus autores. Esta publicación se distribuye de forma gratuita. La Editorial, a los efectos previstos en el artículo 32.1 párrafo segundo del vigente Texto Refundido de la Ley de Propiedad Intelectual, se opone expresamente a que cualquiera de las páginas de esta obra o partes de ella sean utilizadas para la realización de resúmenes de prensa. Cualquier forma de reproducción, distribución, comunicación pública o transformación de esta obra sólo puede ser realizada con la autorización de su titular, salvo excepción prevista por la ley. Diríjase al Colegio Oficial de Veterinarios del Principado de Asturias si necesita fotocopiar o escanear algún fragmento de esta obra.

invierno 2023 veterinariae 3
en suma editorial
Igloo 140 gr/m2
La Junta de Gobierno
© pablo lorenzana

veterinarias históricas

María Fernanda Fernández Barros

Cuándo (si no es indiscreción) naciste: Nací en Mieres en noviembre de 1964.

¿Dónde hiciste tus estudios de primaria y bachiller?

Como muchas niñas de la época, hice la EGB en el colegio de las Dominicas de Mieres, y el BUP y COU en el único Instituto que había entonces en Mieres, el Bernaldo de Quirós.

¿Dónde estudiaste la carrera?

Cuando acabé, me marché a hacer Veterinaria a la Universidad de León. Llegué con aquellas promociones de más de mil estudiantes y tres turnos por curso y empecé en la Facultad Vieja, acabando ya en la nueva en el campus de la Palomera.

¿Por qué escogiste la carrera de Veterinaria?

No puedo decir muy claramente porqué. Estaba claro que era una estudiante de ciencias y que me gustaban los animales,

veterinariae número treinta y cinco

pero no viví, ni siquiera conocí, el trabajo de veterinario clínico, ni de pequeños ni de grandes animales. Podía haber hecho Medicina, pero no estaba totalmente convencida, así que el último año en el instituto me puse a buscar alternativas y vi que la Veterinaria tenía muchas opciones y salidas: la clínica, la producción animal y el control alimentario.

¿Por qué especialidad te decantaste?

Me gustó el tema del análisis de alimentos y, sorprendiendo a todos, decidí estudiar la especialidad de Bromatología y Tecnología de los Alimentos.

¿Cómo empezaste a trabajar?

Mi idea era dedicarme al control alimentario y comencé a trabajar durante tres meses en una empresa de catering en León, que servía comidas a colegios y residencias. Pero estaba abierta a todo, me presenté a un examen para la Administración del Principado de

• En Montreux (Suiza) con mi marido, José Luis y mi hijo Ángel.

Asturias y sorprendentemente, acabé en Ganadería, con un contrato por obra o Servicio como coordinadora de saneamiento ganadero. Empecé desde cero y por ello tengo que agradecer a todas aquellas personas que encontré en mi camino el apoyo y las enseñanzas que me brindaron.

¿Te gustó la ganadería?

La ganadería, la sanidad animal y en especial, las campañas de saneamiento ganadero, me engancharon por completo y a ellas dediqué la práctica totalidad de mi vida laboral, siempre en la Administración y en los distintos puestos que fui ocupando a lo largo de treinta años.

¿Cómo fue esa evolución?

Estuve como coordinadora de campañas, en el laboratorio de Sanidad Animal

4
«La
ganadería,
la
sanidad
animal y en especial, las campañas de saneamiento ganadero, me engancharon y a ellas dediqué la práctica totalidad de mi vida laboral»

en Gijón, como Jefa de Sección de Programas de Erradicación y Control y finalmente como Jefa de Servicio de Sanidad y Producción Animal, así que, salvo en el último periodo, en el que amplié un poco el campo al control de las producciones animales y al bienestar animal, toda mi vida profesional la dediqué a los programas de control de enfermedades animales.

¿Aburre trabajar en la Administración?

Puedo asegurar que no; junto a mis compañeros, hemos vivido de todo, hemos pasado por situaciones difíciles (si recuerdo la Lengua Azul se me ponen los pelos de punta) y hemos logrado metas interesantes como la erradicación de determinadas enfermedades. La veterinaria es una profesión maravillosa que yo he disfrutado mucho, pues todos, los ganaderos, los compañeros (veterinarios y no), los jefes y cualquier persona o empresa relacionada, me han ido enseñando y han conseguido que haya estado encantada con el camino elegido. Tengo que aprovechar para darles las gracias a todos y animarles a seguir intentando dar a la veterinaria (y en especial al trabajo veterinario de la Administración, que es el que conozco) el lugar que se merece y que sea conocida, no solo por el cuidado de los animales, sino también por la labor que se realiza para cuidar de la salud de las personas.

¿Qué esperas de la jubilación?

La jubilación ya me ha dado lo que todos queremos, tiempo. Tiempo para atender y disfrutar de los míos, de mi familia y amigos, para entretenerme con mis aficiones y para ver la vida con más calma y los toros desde la barrera.

¿Cuáles son tus aficiones fuera de la profesión?

Hago un poco de todo y no soy especialista en nada, hasta sigo estudiando inglés, que es mi asignatura pendiente. Tengo una afición que predomina muy por encima del resto, que es viajar. Ahora, con tiempo, si no estoy viajando, estoy preparando un viaje. Me encanta conocer sitios, comidas, costumbres... Estoy en un momento en que me interesa acumular experiencias, recuerdos, conocimientos, y los viajes (sólo con mi marido, con mi familia más extensa o con amigos) me ofrecen todo esto. Pero como no se puede ser un viajero permanente, cuando estoy en casa me encanta hacer ganchillo...

¿Y escuchas la radio, entretanto?

¡Sí! Aprendí a hacer ganchillo de pequeña con mi madre y abuela pero lo

había abandonado hasta que ahora, con tiempo suficiente, me he vuelto a enganchar al ganchillo. Es relajante y me permite además escuchar la radio, participar en tertulias, podcast e incluso audiolibros. Suelo hacer mantas, bufandas, chales, gorros de muchos colores. También me gusta la música.

¿Qué tipo de música?

Cualquiera salvo el reguetón; pero con el piano siempre he tocado música clásica, que fue lo que aprendí en el conservatorio. También cocino.

¿Cuáles son tus platos preferidos?

Soy de cocina tradicional; dicen que me sale muy bien el pote asturiano, por ejemplo. Me gusta hacer guisos de carne, pescados al horno, etc. Lo que no hago es repostería, de eso se encarga mi suegra.

Hablabas antes de audiolibros. ¿Qué te gusta leer?

Novelas; la mayoría de ellas escritas por mujeres españolas: Dolores Redondo, María Dueñas, María Orduña, Ana Lena Rivera (que desarrolla las novelas en lugares y con historias asturianas)...

• Con compañeros de trabajo y amigos en la comida de jubilación.

• En el monte Junfrau (Suiza) con mi marido e hijo. • En Gran Canaria; al fondo el Roque Nublo.

Háblanos un poco más de ti

Con cuarenta y cuatro años la vida me dio una sorpresa en forma de cáncer de mama. Pero tengo que decir, que, tras los tratamientos pertinentes, comenzó la etapa de mi vida posiblemente más completa, pues crie a mi hijo, que entonces tenía seis años y hoy vive libre por Madrid estudiando Enfermería, mejoré profesionalmente adquiriendo más responsabilidades en el trabajo, pues me hice cargo del Servicio de Sanidad y Producción Animal (lo que me llevó a aprender a marchas forzadas sobre muchos temas que no había tocado todavía) y comencé a disfrutar más intensamente de mis aficiones y de los viajes. Quiero decir con ello que la enfermedad no sólo no me frenó, sino que dio un nuevo impulso a mi vida y la hizo más interesante, con una premisa fundamental, la de aprovechar el momento y no perder oportunidades. Y cuento esto para que muchas que puedan estar pasando por el susto de un diagnóstico, vean que hay mucho más detrás.

¿Cumpliste alguna de tus metas que soñabas de niña?

Creo que sí, no recuerdo haber sido una niña muy soñadora ni haber tenido sueños imposibles, pero sé que siempre me ha gustado el trabajo que he desarrollado, que me ha dado estabilidad, que tengo una bonita familia y unos buenos amigos y que no se me ocurre pedir mucho más, así que, como se suele decir, Virgencita, Virgencita, que me quede como estoy. Y nada más, hoy salgo para mi próximo viaje, a Praga, que precisamente me tocó en el sorteo de la cena del Colegio, en los actos de celebración por San Francisco. •

invierno 2023 veterinariae 5

sobre el terreno

Sanidad Animal: la importancia de las Redes de Vigilancia Epidemiológica

Una cuestión clave para la implantación del concepto One Health en la metodología sanitaria de lucha contra enfermedades es la transmisión de información sobre la aparición y evolución de focos en cualquier lugar, de un modo rápido y eficaz. La ciencia veterinaria lleva mucho tiempo utilizando redes de vigilancia epidemiológica entre territorios y entre países, para comunicar la aparición de focos de enfermedades en poblaciones animales y tomar medidas con rapidez.

En España la Ley 8/2003, de 24 de abril, de Sanidad Animal, establece que serán las Comunidades Autónomas quienes detecten y declaren oficialmente ante el Ministerio de Agricultura la existencia de una enfermedad animal de declaración obligatoria, o que obligue a adoptar restricciones. Una vez confirmada la aparición de un foco, o focos, se procederá a comunicar a las autoridades sanitarias de la UE, de terceros países o de organismos internacionales, según la casuística de la enfermedad. También se comunicarán las medidas de contención y lucha, así como la extinción de la enfermedad. La Ley establece la obligación que tiene cualquier persona, pública o privada, incluyendo profesionales veterinarios, laboratorios y propietarios de animales, de comunicar cualquier foco o sospecha de foco, en menos de 24 horas, por el riesgo para la salud humana, animal o para el medio ambiente. Los profesionales veterinarios lo transmitirán a los Veterinarios Oficiales de su Comunidad.

Ejemplos recientes de enfermedades animales que son objeto de declaración por la importancia sobre la cabaña ganadera o por su importancia zoonótica, son la peste porcina clásica o africana, la influenza aviar, la viruela del mono, o el carbunco bacteridiano.

La Organización Mundial de Sanidad Animal publica en su portal (woah.org) la lista de enfermedades de los animales acuáticos y terrestres. Constituye una fuente de información para tomar decisiones ante la observación de signos de enfermedades. Es una lista única de enfermedades de declaración para animales terrestres y acuáticos.

En la Unión Europea, el  Reglamento (UE) 2016/429 del Parlamento Europeo y del Consejo de 9 de marzo de 2016, establece cuales son las enfermedades animales que deben ser comunicadas

veterinariae número treinta y cinco

para ser objeto de medidas de control y de prevención.

En España, la lista de enfermedades de animales de declaración obligatoria se establece en el Real Decreto 526/2014, de 20 de junio.

Redes de vigilancia epidemiológica

La existencia de redes de vigilancia epidemiológica, on line , interconectadas, fiables y accesibles, es importantísima para contener con rapidez la extensión de enfermedades animales transmisibles. Veremos a continuación cuales son las redes de vigilancia epidemiológica de enfermedades animales, a nivel español, europeo y mundial

España - RASVE

La Red de Alerta Sanitaria Veterinaria es RASVE, https://servicio.mapa.gob. es/rasve Proporciona información inmediata de ámbito nacional acerca de la situación epidemiológica de animales de abasto y de producción, de animales salvajes y de animales de compañía. Esta red interconecta el MAPA, con las Comunidades Autónomas y con la Red de vigilancia de la UE.

Unión Europea - ADIS

La Red de vigilancia de la UE es Animal Disease Information System (ADIS) https://food.ec.europa.eu/animals/animal-diseases Es la herramienta de la UE para proporcionar información sobre las enfermedades animales transmisibles

6

dentro del territorio europeo. Permite la creación de sistemas de alerta rápida ante brotes de enfermedades animales, así como el intercambio inmediato de información sobre medidas de control o de restricción de movimientos. Está interconectada con las redes de los países europeos, y con la Organización Mundial de Sanidad Animal.

Organización Mundial de Sanidad animal - WAHIS

La red de la organización Mundial de Sanidad Animal (OMSA, fundada como OIE), es el Sistema Mundial de Información Zoosanitaria https://wahis.woah. org/ Proporciona información sobre la situación zoosanitaria mundial sobre las enfermedades de la lista de la OMSA sobre animales domésticos, fauna silvestre, zoonosis y enfermedades emergentes. La información se divide en sistema de alerta precoz, proporcionando alertas internacionales sobre enfermedades de la lista y emergentes; sistema de vigilancia de las situaciones sanitarias por medio de informes semestrales de países y territorios; e informes anuales resumiendo situaciones, medidas y medios.

Además, el resto de enfermedades de la lista única de Organización Mundial

Enfermedades de los animales terrestres:

de Sanidad Animal, incluidas las emergentes y de fauna silvestre. Y también, alguna de estas enfermedades que se produzca en una provincia declarada oficialmente libre según normativa comunitaria, como es el caso de Asturias: Brucelosis bovina; Tuberculosis bovina; Leucosis bovina enzoótica; Brucelosis ovina y caprina (excepto la producida por Brucella ovis).

Está interconectada con la Organización Mundial de Sanidad Animal y se coordina con la interfaz de la OIEWAHIS para actualizar la información.

WAHIS

Sistema Mundial de Información Zoosanitaria , de la Organización Mundial de Sanidad Animal (fundada como OIE).

Es una base de datos pública, on line, que proporciona información sobre la situación zoosanitaria mundial. La información procede de los Servicios Veterinarios de los distintos países, que periódicamente proporcionan datos sobre las enfermedades de la lista de la Organización Mundial de Sanidad Animal sobre animales domésticos, fauna silvestre, zoonosis y enfermedades emergentes.

Lengua azul o fiebre catarral ovina; Fiebre aftosa. Fiebre del Valle del Rift. Peste bovina. Estomatitis vesicular. Infección por el virus de la rabia. Carbunco. Encefalopatía espongiforme bovina. Dermatosis nodular contagiosa. Perineumonía contagiosa bovina. Peste de los pequeños rumiantes. Viruela ovina y caprina. Peste porcina clásica. Peste porcina africana. Enfermedad vesicular porcina. Influenza aviar Enfermedad de Newcastle en aves de corral y cautivas. Peste equina africana.

Durina Encefalomielitis equina (oriental; japonesa; venezolana; occidental; fiebre del Nilo occidental)

Anemia infecciosa equina Muermo Aethinosis Tropilaelapsosis (Tropilaelaps spp.).

Enfermedades de los animales acuáticos:

Anemia infecciosa del salmón Enfermedad causada por el herpesvirus Koi Necrosis hematopoyética infecciosa Necrosis hematopoyética epizoótica Enfermedad de la cabeza amarila; Septicemia hemorrágica viral Infección por Bonamia ostreae Infección por Bonamia exitiosa Infección por Marteilia refringens Infección por Perkinsus marinus Infección por Mikrocytos mackini Síndrome de Taura Enfermedad de la mancha blanca

La información de la interfaz OIEWAHIS refleja la información recolectada por los Servicios veterinarios de los Países y Territorios Miembros y no Miembros de la OIE sobre las enfermedades de la Lista de la OIE en los animales domésticos y la fauna silvestre, así como sobre enfermedades emergentes y zoonosis.

La información se divide en sistema de alerta precoz, proporcionando alertas internacionales sobre enfermedades de la lista y emergentes; sistema de vigilancia de las situaciones sanitarias por medio de informes semestrales de países y territorios; e informes anuales resumiendo situaciones, medidas y medios.

Por último, conviene citar también una red de vigilancia transnacional para los países de la región mediterránea.

Red Mediterránea de Sanidad Animal (REMESA)

Los países mediterráneos crearon en 2009 una Red de Sanidad Animal para facilitar el intercambio comercial entre estos países a la vez que se fomentaba la sanidad de sus poblaciones animales. España forma parte de este Red que se puede consultar públicamente.

Su objetivo es mejorar la prevención y lucha contra las principales enfermedades animales transnacionales y las zoonosis.

Posee una Red de vigilancia epidemiológica veterinaria, conocida como REPIVET. •

invierno 2023 veterinariae 7 san francisco f

actividades colegiales

Encuentros inter nos

Los veterinarios del occidente y del centro se reunieron en su clásico encuentro anual para intercambiar experiencias profesionales y departir amigablemente en una sala de conferencias y en torno a una mesa con mantel.

8 veterinariae número treinta y cinco
13 diciembre /
de
Cangas
Onís 15 noviembre / Tineo
9 noviembre / Castropol

El monstruo del revoltijo y la lucha contra el plástico

17 diciembre

Como es tradicional, y aunque en los dos últimos años no pudimos celebrarla por la pandemia de Covid, el Colegio vuelve a organizar la fiesta infantil de Navidad, que tuvo lugar en nuestra sede el sábado, 17 de diciembre, con la actuación de É Vero Teatro, una compañía de artes escénicas dirigida por Verónica Gutiérrez y Adria Parravicini. Y también, claro, hubo una merienda para los asistentes y un obsequio para los niños.

10 veterinariae número treinta y cinco
actividades
las maravillas del mar. Pero algo amenaza su fantástico mundo. Con la ayuda de dos por el camino, luchará contra una especie de revoltijo multicolor que inunda
colegiales

¿Quieres conocer el fondo oceánico? Un pez abisal un tanto inusual nos mostrará sardinas, una nécora y un montón de personajes divertidos que se irá encontrando los mares: el plástico. ¿Conseguirán vencerlo?

actividades colegiales / fiesta infantil

actividades

Campaña escolar por el bienestar animal y tenencia responsable de mascotas

El objetivo principal de esta campaña formativa y divulgativa es impulsar la excelencia y responsabilidad en el cuidado de los animales domésticos mediante la concienciación de la población escolar sobre la importancia del bienestar animal, especialmente de los animales de compañía, los más cercanos a niñas y niños.

La campaña intenta transmitir la importancia de que los animales estén bien cuidados y de que no perjudiquen la salud de las personas de su entorno. Los contenidos de la campaña tratan los principios y valores que deben inspirar la relación de los seres humanos con los animales, abordándose cuestiones como las obligaciones y responsabilidades a la hora de tener una mascota en casa, las medidas higiénicas y sanitarias y las reglas básicas de civismo. Todo ello está recogido en la Ley de Protección de los Animales en Asturias.

Las charlas serán impartidas en los centros escolares por veterinarias y veterinarios pertenecientes al Colegio Oficial de Veterinarios de Asturias.

La actividad es totalmente gratuita para los centros educativos.

• Contenidos

• Diferencia entre animales domésticos y animales de compañía.

• Aspectos a tener en cuenta antes de acoger a un animal en casa.

• Los animales de compañía: su cuidado e higiene.

• Reglas básicas de civismo.

• Nuestras obligaciones con los animales.

• Recursos didácticos

Cada vez hay más campañas e iniciativas que intentan concienciar la importancia del respeto, el cuidado, la protección y el bienestar de los animales, así como la tenencia responsable de los mismos y la lucha contra el maltrato y el abandono animal. Educar a los mas pequeños en el respeto a los animales y el entorno en el que viven supone un pilar fundamental para su desarrollo y crecimiento intelectual, y, por ende, para mejorar la sociedad y nuestro entorno natural.

En esta ocasión, ha sido gracias al Colegio de Veterinarios de Asturias que ha retomado tras la pandemia estas charlas en diferentes Colegios de Educación Primaria de Asturias, impartidas por veterinarios colegiados con el objetivo de que los niños adquieran valores que propicien estas conductas, mejorando la empatía hacia los animales, y explicando la importancia de la profesión veterinaria en todos sus marcos de actuación, entre los que se encuentran además la seguridad y bienestar de todos los animales, el cuidado de la salud pública y la protección del medio ambiente.

Desde el Colegio de veterinarios de Asturias se promueven las claves para lograr esto, como son el respeto, una alimentación equilibrada y acorde a cada animal

12 veterinariae
número treinta y cinco
Ana María Bances Pérez
colegiales

de compañía, una buena salud física y psíquica, una adecuada higiene, proporcionarles el ejercicio necesario, dedicarles el tiempo que necesitan, ofrecerles un hábitat confortable y adecuado, además de educarles siempre con un aprendizaje positivo y respetuoso, evitando el castigo y con el cariño que merecen, y asumir la responsabilidad diaria y durante toda la vida del animal que conlleva esta convivencia.

En estas charlas se explica la importancia de la Medicina Preventiva con planes de vacunaciones, desparasitaciones, y otras, además de la Medicina Curativa y lo fundamental que es asesorarse siempre por un facultativo de una Clínica Veterinaria de Calidad antes de adquirir un animal, y seguir acudiendo al veterinario para garantizar la salud y el bienestar de sus animales de compañía.

Se intercambian además las experiencias de los niños con los animales y se resuelven dudas y preguntas, lo que hace la experiencia para ellos amena, educativa y agradable.

Se recuerda la obligatoriedad en perros de la identificación animal con microchip para obtener su correspondiente pasaporte y la recomendación en otras especies.

La inclusión de la educación en empatía hacia los animales supone un avance hacia la prevención de la violencia no solo

en las relaciones con los animales sino de las relaciones interpersonales.

«La grandeza de una nación y su progreso moral pueden ser juzgados por la manera en que se trata a sus animales».

Muy a nuestro pesar (por lo que nos toca), Mahatma Gandhi sintetizaba una gran verdad en esta frase. Nuestra sociedad, que tanto alarde hace de ser

EXPERIENCIA LABORAL

Charla de Ana Bances en el CP Jaime Borrás. Preparador JORGE CAVIELLES DÍAZ

una sociedad avanzada, aún alberga algunos «lados oscuros». No podemos sentirnos orgullosos de pertenecer a una comunidad en donde el maltrato y el abandono de animales ocurre diariamente. Y los veterinarios podemos (y es nuestro deber) hacer mucho al respecto.

En España se abandonan actualmente unos 700 animales de compañía al día, y cuatro de cada diez que son regalos de Navidad son abandonados a los pocos meses. Las perreras, albergues, refugios y asociaciones protectoras están saturados. Los animales no deben regalarse, y quien quiera disfrutar de su compañía, ha de saber antes cuáles son sus necesidades, comprometerse y considerarlos como lo que son, miembros de la familia, y seres dotados de sensibilidad, de modo que los derechos y facultades sobre los animales han de ser ejercitados atendiendo al bienestar y la protección del animal, evitando el maltrato y el abandono y la provocación de una muerte cruel o innecesaria. La importancia de los veterinarios en esta tarea es crucial. A la medicina legal veterinaria le compete la misión de tender un puente entre el pensar jurídico y el biológico, prestando un concurso necesario a la aplicación de la justicia.

Célebre es la frase de Víctor Hugo ya en el siglo xix: «Primero, fue necesario civilizar al hombre en su relación con el hombre. Ahora, es necesario civilizar al hombre en su relación con la naturaleza y los animales». •

SISTEMA:

• Trabajo exclusivo y especializado para esta oposición (sólo se preparan las oposiciones para Asturias)

• Trabajo mediante una reunión semanal por videoconferencia

actividades colegiales / campaña escolar por el bienestar animal... OPOSICIÓN PARA VETERINARIOS PRÓXIMA CONVOCATORIA 17 PLAZAS Aprobada la Oferta de Empleo Público de 2022 (BOPA del 30 de diciembre de 2022) COMIENZO DE GRUPO DE PREPARACIÓN
Veinticinco años como Veterinario Oficial en Asturias con destinos en Salud pública, Mataderos, Oficina Comarcal de Agricultura, Laboratorio de Sanidad Animal y Coordinador Veterinario de Área de Ganadería.
Actualmente destinado en la Oficina Comarcal de Agricultura de Vegadeo.
Tel.: 619 60 42 82

colaboraciones

Festival Wild Oceans FilmFest

La primera edición del Wild Oceans FilmFest (www.wildoceansfilmfest.org), promovido por la Fundación Bioparc y celebrado en el Bioparc Acuario de Gijón, ha reunido a expertos del campo científico, audiovisual y, en general, del mundo marino y ha obtenido un lleno absoluto en todas las actividades, con más 1000 personas participando en algún momento.

En el festival se presentaron 269 producciones de documentales relacionados con el mundo marino, procedentes de 47 países, y se seleccionaron 25 finalistas, que optaron a ganar los premios en las 6 categorías.

• Documental

• Cortometraje documental

número treinta y cinco

en el Bioparc Acuario de Gijón

enemigo

• Producción sobre Conservación

• Comportamiento animal o descripción de ecosistema

• Producción rodada en Acuarios

• Jóvenes directores

El festival buscaba transmitir a la sociedad el deseo de conservar los océanos, apoyándose en los valores de la belleza, el arte, el conocimiento, la ciencia, la información veraz, el compromiso y la acción. Se celebró del 1 al 5 de noviembre en Gijón e incluyó un completo programa en el que se pudo disfrutar de la proyección de los mejores documentales a escala internacional y numerosas actividades.

En Sea of Shadows , la película ganadora del festival en la categoría de «Documental» se ve como la vaquita marina; pequeño cetáceo endémico del Mar de

• Premiados durante la recogida de galardones en la Gala del Festival del Wild Oceans Film Fest, celebrada en el Bioparc Acuario de Gijón y presentada por Jacob Petrus.

Cortés, en Méjico está a punto de extinguirse debido a las actuaciones de los seres humanos. Pero, a pesar de ello hay esperanza, y eso es lo que nos han contado los expertos que han participado en este festival.

Paralelamente a las proyecciones de algunos documentales en el Auditorio del Bioparc Acuario de Gijón se organizaron debates en los que participaron profesores de la Universidad de Oviedo así como el decano de la Facultad de Biología, D. José Manuel Rico, investigadores del CSIC -IEO y su director D. Rafael

14 veterinariae
celebrado
«La indiferencia es el peor
de la conservación»

Fernández Quirós o veterinarios involucrados en la temática, como D. Pepe Heredia, veterinario de la Dirección General de Pesca Marítima del Principado de Asturias o esta que suscribe, responsable de Veterinaria e Investigación en el Acuario. Todos coincidimos en que es necesario hacer cambios para proteger los mares y los océanos, apoyados en la ciencia y con la colaboración de todas las partes implicadas (políticos, ciudadanía, pescadores, etc.). Pero, también es necesario mostrar el océano, darlo a conocer, mostrar su belleza, divulgar sobre la biodiversidad.

Con el cambio climático y las acciones de los seres humanos, con la sobrepesca, la sobreexplotación y la contaminación, estamos poco a poco minando la que es la fuente del 50 por ciento del oxígeno que respiramos. El objetivo de este festival era devolver al mar, al menos, parte de lo que nos proporciona. Ha sido una oportunidad única de conocer mejor los problemas a los que se enfrentan los océanos, la necesidad de que se mantengan «sanos», además de lo bonito, frágil y diverso.

Se ha invitado a la gente a acercarse, conocer, aprender y, en definitiva, enamorarse del mar, para protegerlo.

Según el director de la Fundación Bioparc, y del Festival, Fernando González Sitges: «la indiferencia es el peor enemigo de la conservación» y, de acuerdo, con la mayoría de los ponentes, cuando se toman las decisiones correctas para protegerlo, esto funciona.

La gala de Entrega de Premios fue conducida por el presentador Jacob Petrus,

El Wild Oceans FilmFest es un festival de cine documental creado para sensibilizar sobre la necesidad de cuidar y conservar nuestros océanos

y en ella se contó con la participación del ecólogo Enric Sala a través de videoconferencia quien explicó a los allí presentes la importancia de crear zonas protegidas en el área del Cantábrico. Este doctor recibió el premio homenaje Salvando los Océanos, por una carrera dedicada a la protección de éstos gracias a su proyecto Pristine Seas , que se dedica a la creación de reservas marinas en todo el mundo. De estas zonas, se debatió también, durante los coloquios posteriores

a las proyecciones. Así se habló de un Área Marina Protegida en el Cantábrico, El Cachucho. Un éxito en cuanto conservación. La riqueza biológica que se genera en espacios como éste, produce un efecto derrame en las zonas colindantes. A largo plazo suponen un beneficio evidente para la biodiversidad, pero también para la pesca y el turismo.

Además, durante el festival hubo tiempo para disfrutar de la belleza del mar. A través de las fotografías de Rodrigo Núñez Buj; el documental que ganó el premio a Mejor Director Joven, Rafael Fernández Caballero; o, por supuesto, el también oscarizado documental, de Pippa Ehrlich, Lo que el pulpo me enseñó, cuya directora recogió en este festival el premio a la Mejor Producción sobre Comportamiento Animal o Descripción de Ecosistema. En su cinta descubrimos la belleza de la costa sudafricana, a través de los bosques de Kelp y el comportamiento de un animal tan especial como el pulpo.

El Wild Oceans FilmFest es un festival de cine documental promovido por la Fundación Bioparc (fundación sin ánimo de lucro que une a Bioparc Acuario de Gijón, Bioparc Valencia y Bioparc Fuengirola) creado para sensibilizar sobre la necesidad de cuidar y conservar nuestros océanos.

El festival concluyó con un mensaje optimista en el que, con un enfoque proactivo se pueden proteger los océanos y su biodiversidad. •

invierno 2023 veterinariae 15
• Debate del Wild Oceans Film Fest: Susana Acle, Veterinaria y Responsable de Investigación en Bioparc Acuario de Gijón; Javier Cristobo, científico e investigador del Instituto Español de Oceanografía / CSIC; José Heredia, Veterinario de la Dirección General de Pesca Marítima del Principado de Asturias, y David Álvarez, Profesor de Zoología e Investigador de la Universidad de Oviedo. • Pippa Ehrlich, directora del documental Lo que el pulpo me enseño, impartió durante el Festival, una charla magistral sobre conservación marina, en la Facultad de Biología de la Universidad de Oviedo.

nota de prensa

El Colegio de Veterinarios impulsa ante la consejería de Medio

Rural

la vacunación antirrábica para perros, gatos y

hurones

La directora general de Ganadería del Principado se reúne con representantes del ICOVA para recibir las observaciones a un proyecto que éste ha venido reclamando

El presidente del Colegio de Veterinarios de Asturias (ICOVA), Armando Solís, y Rocío Quince, miembro de la junta directiva, se reunieron con la directora general de Ganadería y Sanidad Animal del Principado de Asturias, Rocío Huerta, con el fin de insistir en la necesidad de implantar la vacuna antirrábica obligatoria para todos perros (y no únicamente los potencialmente peligrosos), así como gatos y hurones en la comunidad asturiana.

La consejería de Medio Rural y Cohesión Territorial, concienciada sobre este problema, ha solicitado del Colegio sus observaciones a una posible regulación sobre la materia. Solo una vacunación antirrábica anual de perros y gatos permitirá

una cobertura sanitaria adecuada frente a la zoonosis que provoca una alta tasa de letalidad en el ser humano.

Se trata de una reclamación histórica y argumentada científicamente por el Colegio, que considera que la vacuna debería ser obligatoria y anual para las mascotas, como es ya en la mayoría de comunidades españolas. De momento, la antirrábica tan solo no es obligatoria en Cataluña (donde está actualmente en proceso consultivo), Galicia y Asturias.

Sin embargo, la migración que ha provocado la guerra de Ucrania (zona endémica de rabia) está causando también que las personas se desplacen con sus mascotas, acentuando el riesgo de llegada de

la enfermedad. El convenio firmado entre el Colegio y la consejería de Medio Rural está dando respuesta, de la forma más ordenada posible, a la atención sanitaria de dichos animales, pero nunca en la historia reciente de la UE se han tenido que rebajar tanto los controles de acceso de mascotas provenientes de un país no miembro.

A este problema se suma la importación ilegal de perros procedente de países del este de Europa y los masivos desplazamientos humanos que se producen anualmente desde el norte de África, donde la rabia es también endémica. •

Muchas nuevas colegiaturas se inscriben cada trimestre en nuestro Colegio, en su mayor parte jóvenes que, recién terminada su carrera, llegan por primera vez, aunque en ocasiones provienen de otras comunidades por cambio de trabajo, de situación familiar, de regreso de alguna especie de emigración. Con todos ellos se pone en contacto la revista para darles la posibilidad de asomarse a esta ventana.

número treinta y cinco

«En

Carmen Rodríguez García

Muchas gracias por esta oportunidad de colaborar con la revista del Colegio. Soy una veterinaria apasionada de la Nutrición Animal y el Control de Calidad, campos en los que he desarrollado mis catorce años de carrera profesional en empresas de Madrid y Navarra dando servicio a clientes de todo el territorio español, Norte de África, Asia y Latinoamérica.  Por traslado a Asturias actualmente estoy buscando empleo y completando mi especialización en nutrición de rumiantes  y tecnología NIRS. Me licencié en 2008 por la Universidad Complutense de Madrid, donde mis asignaturas favoritas fueron  Nutrición Animal, Patología Médica y de la Nutrición e Higiene Alimentaria. Mis aficiones son la música, el deporte, dar largos paseos al aire libre y mis estudios de Psicología.» •

16 veterinariae
Rocío Quince, Rocío Huerta y Armando Solís.
nuevas colegiaturas
«El espíritu de la juventud es un terreno generoso donde la simiente de una palabra oportuna suele rendir, en corto tiempo, los frutos de una inmortal vegetación» (El mirador de Próspero, de J. E. Rodó)
uno de mis lugares favoritos, la playa de San Lorenzo, Gijón».

Tratamiento con sildenafilo y evolución de un caso de megaesofago congénito idiopático canino

Introducción

El megaesófago (ME) es un trastorno caracterizado por la disminución o ausencia de motilidad del esófago, causando dilatación y acumulación de líquido y comida en la luz esofágica, siendo la regurgitación de comida, la pérdida de peso y una pobre condición corporal los síntomas principales (1).

El megaesófago congénito idiopático (MCI) se observa en animales jóvenes, pudiendo afectar a más de un miembro de la misma camada, siendo más frecuente en algunas razas. Estos animales empiezan con los síntomas típicos de regurgitación y pobre condición corporal tras el destete (1). Hasta el momento no se dispone de un tratamiento eficaz por lo que los animales afectados necesitan de soporte nutricional y físico de forma casi continua, siendo el riesgo de complicaciones fatales como la neumonía por aspiración muy frecuentes, lo que lleva a un alto porcentaje de muertes o eutanasias en los meses siguientes al diagnóstico.

Se ha especulado sobre el hecho de que la forma congénita de la enfermedad esté vinculada a un retraso o reducción en el desarrollo del sistema neuromuscular esofágico, en particular de la inervación vagal aferente que falla en la respuesta al estímulo mecánico inducido por la comida, resultando en una peristalsis ineficaz.

El sildenafilo es un inhibidor selectivo de la fosfodiesterasa-5 que reduce la degradación intracelular del guanosin monofosfato cíclico, potenciando indirectamente la acción del oxido nítrico (ON). El ON es un neurotransmisor que juega un papel importante en la relajación del músculo liso en los vasos sanguíneos y en el tracto gastrointestinal.

El sildenafilo se ha demostrado eficaz en la disminución del tono y relajación del esfínter esofágico inferior (EEI), en humanos(2), gatos(3) y perros(4), lo que podría facilitar la entrada de la comida

en el estómago sin reducir su peristalsis ya que en el perro todo el músculo esofágico es estriado, reduciendo por tanto la presión dentro de la luz esofágica y su dilatación persistente, evitándose los posibles cambios estructurales irreversibles que podrían ocurrir secundarios a la dilatación crónica, ofreciendo así una alternativa terapéutica prometedora.

A continuación describimos un caso de MCI tratado con sildenafilo y su evolución en el tiempo.

Caso clínico

Se presenta un cachorro de perro de dos meses de edad, hembra no castrada de raza mestiza y 2,8 Kg de peso con un cuadro de disfagia y regurgitación de comida y en ocasiones agua. La perra procede de una camada recogida por una protectora y adoptada recientemente por sus cuidadores, no se conoce su historia previa ni la del resto de miembros de la camada, pero desde que está con ellos la perra presenta esos síntomas.

En el examen físico la perra se muestra alerta y activa, condición corporal 2-3/9, bien hidratada, sin fiebre, frecuencia cardiaca y respiratoria normal. El resto del examen físico y neurológico es normal.

Los resultados del hemograma completo, bioquímica, T4 y urianalisis no indican ninguna alteración.

Siendo la regurgitación el principal síntoma, se realizan radiografías de la región cervical, tórax y abdomen craneal y radiografías con contraste del esófagoestomago.

Todas las radiografías de contraste se realizaron mezclando bario en polvo con agua y mezclándolo a su vez con comida húmeda, salvo en la última radiografía que se mezcló con el pienso seco que come actualmente, la comida siempre la ingirió de forma voluntaria. Se realizaron en decúbito lateral derecho y antes de 5 minutos desde la ingesta.

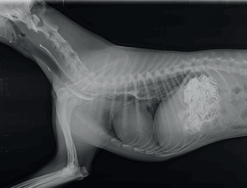
El esofagograma muestra una dilatación esofágica generalizada (fig. 1). El grado de dilatación esofágica se calcula mediante el Diámetro Esofágico Relativo( DER): el diámetro esofágico se mide en su punto más ancho, perpendicularmente al eje longitudinal del esófago a nivel de la superficie intraluminal (DE), relacionándolo en la misma radiografía con la medida de la entrada del tórax (ET): distancia desde el aspecto ventral de la columna vertebral en el punto medio de la primera costilla hasta el aspecto interno del manubrio esternal en el punto del diámetro más estrecho de la entrada del torax. DER=DE/ET

Siendo el DER en la primera radiografía de: 0,92.

En la radiografía del tórax no se observan cambios compatibles con neumonía por aspiración.

Se establece un diagnostico de megaesófago congénito idiopático en base a la corta edad del paciente, los síntomas de regurgitación de comida sin digerir al poco de su ingesta, pobre condición corporal y evidencia radiográfica de dilatación esofágica generalizada.

Ante la falta de opciones terapéuticas eficaces se comenta la posibilidad de comenzar un tratamiento con sildenafilo en base a los resultados obtenidos en recientes publicaciones en perros con megaesófago congénito (4, 5). Se obtiene el visto bueno de los propietarios y se comienza el tratamiento con sildenafilo en forma líquida, a la dosis publicada de 1mg/Kg cada 12h, en nuestro caso usamos el producto comercial de nombre Bandol suspensión oral, que proporciona 25mg/ ml de sildenafilo, no es necesario reconstituir con agua, simplemente agitarlo bien antes y quitando el tapón pulsador se carga perfectamente con una jeringuilla. La administración debe ser en posición erguida, acompañarlo de 10 ml de agua y después darle de comer para facilitar la llegada del medicamento al estómago.

18 veterinariae
número treinta y cinco
premio ignacio menes 2022

1A. Radiografía de contraste mostrando la dilatación esofágica generalizada

1B. Cálculo del DER sobre la figura

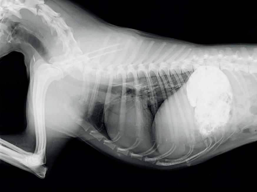
5 A los 4 meses de suspender la medicación.

6 A los 9 meses de suspender la medicación.

También se les instruyó para que la perra comiese siempre en posición erguida, mantenerla en esa posición durante 10 minutos después de cada comida y antes de acostarse los propietarios mantenerla otros diez minutos en posición erguida.

La perra se acostumbró perfectamente tanto a comer como a beber en posición erguida (fig. 2).

Desde el inicio del tratamiento los episodios de regurgitación disminuyeron significativamente, teniendo solo un episodio en los 15 días desde el inicio hasta la primera revisión, en dicha revisión la perra se muestra alerta, va cogiendo peso aunque se mantiene delgada (cc 3/9) la auscultación cardiopulmonar dentro de

la normalidad y la medición de la presión sanguínea no muestra hipotensión. Los cuidadores comentan que tiene un comportamiento normal para un cachorro, muy activa y juguetona.

En la radiografía de contraste (fig. 3) aún se evidencia la dilatación esofágica con un DER de 0,68, por lo que viendo que la perra se encuentra mejor sintomáticamente y no presenta efectos secundarios achacables a la medicación se decide prolongar el tratamiento. Según la descripción de un caso clínico publicado (5),con la prolongación del tratamiento más allá de 15 días el animal siguió mejorando. Se mantuvo la alimentación en posición erguida, durante

este tiempo la perra ya no presentó mas episodios de regurgitación.

A los 30 días de comenzar el tratamiento se suspendió la medicación, pero los cuidadores llamaron a la semana para comentar que había presentado varios episodios de regurgitación coincidiendo con la suspensión de la medicación y preguntando si podían volver con la medicación, ante la falta de información al respecto pero viendo la buena tolerancia al medicamento se decide continuar con la medicación otro mes y reevaluar de nuevo. En la nueva revisión el animal no ha presentado más episodios de regurgitación, tiene un crecimiento normal y mejor condición corporal. Los

invierno 2023 veterinariae 19
1 3 4 5 6 A B 2 27.06 mm 25.03 mm

propietarios son reticentes a retirar la medicación por lo que se reduce la dosis a la mitad. A los dos semanas del cambio la perra no ha tenido ningún episodio de regurgitación por lo que se retira la medicación y se le repite la radiografía de contraste observándose una disminución significativa del DER ( Fig.4),aún se le mantiene la alimentación en posición erguida.

Un mes después de retirarle la medicación, la perra sigue sin presentar regurgitación a pesar de que en ocasiones ya no come en posición erguida con lo que se decide que pasen a darle de comer en el suelo sin elevar el comedero de manera regular.

Desde entonces lleva 10 meses desde que dejó la medicación y 9 desde come en posición normal y no ha presentado más episodios de disfagia o regurgitación, su condición corporal es de 5/9, se le ha realizado la ovariohisterectomía sin complicaciones y en las radiografías de control (figs. 5 y 6) no se aprecia ya dilatación esofágica y presenta un vaciado esofágico rápido y completo.

Discusión

Presentamos un caso de MCI, tratado con sildenafilo durante 2 meses y medio aproximadamente, dónde se ha producido una resolución completa de los síntomas clínicos y radiológicos, que persiste varios meses después de finalizar el tratamiento y donde le animal es capaz de llevar una vida completamente normal sin necesidad de tener que alimentarse de forma erguida.

Cuando empezamos el tratamiento, solo había publicado un estudio con 21 cachorros con megaesófago (4) y un artículo del tratamiento de un cachorro con megaesófago idiopático severo complicado con neumonía por aspiración tratado con sildenafilo (5). Los resultados de este primer estudio concluían que le sildenafilo producía el cese de los episodios de regurgitación a los 10 días de iniciar el tratamiento, que este efecto se mantenía hasta un mes después de finalizar el tratamiento, además se producía una reducción significativa del DE al comparar el DER entre el D0 y el D15, efectos no observados en el grupo control. Además en este estudio se demostraba la eficacia in vitro del sildenafilo para relajar las fibras musculares del esfínter esofágico inferior de perro. En el caso clínico se demuestra la utilidad del sildenafilo junto a otras medidas de soporte permitiendo la alimentación en posición normal.

Recientemente se han publicado los resultados de un estudio sobre los efectos del sildenafilo en perros con

20 veterinariae número treinta y cinco

megaesófago, sobre la frecuencia de regurgitación, peso corporal, calidad de vida y tiempo de aclarado esofágico (6). Este estudio se realizó con 10 perros adultos (>1 año) con megaesófago pero sanos por lo demás. Este estudio concluye que el sildenafilo produce una reducción significativa del número de episodios de regurgitación comparado con los valores basales o cuando se administra un placebo y lo mismo ocurre con la ganancia de peso, pero que no hay diferencias en los tiempos de aclarado esofágico (medidos mediante videofluoroscopia) y en los índices de puntuación de calidad de vida apreciada por el propietario, con lo que, aunque el sildenafilo puede beneficiar algunos perros con megaesófago al reducir la frecuencia de las regurgitaciones favoreciendo con ello la ganancia de peso, al no haber cambios en el tiempo de aclarado esofágico ni en la mejora de la calidad de vida, el impacto clínico real en general no podía ser determinado en ese estudio.

Lo que sí se pone de manifiesto en los dos estudios es que el tratamiento con sildenafilo a esas dosis es seguro, no detectándose ningún efecto adverso durante el tratamiento.

A pesar de que las metodologías para valorar la eficacia (medición del DER en el primero y tiempo de aclarado esofágico mediante videofluoroscopia en el segundo) son distintas en ambos estudios, también es distinta la elección de los pacientes, siendo cachorros menores de 50 días con MCI en el primer caso y perros adulto (>1 año) con ME de cualquier etiología, lo que podría explicar la diferencia en las conclusiones.

Al tratarse de cachorros, como lo es en nuestro caso, con un diagnóstico y una intervención temprana, la relajación del EEI provocada por el sildenafilo, facilitaría el vaciamiento esofágico y disminuiría la dilatación de éste (en los perros tratados con placebo se produce una dilatación progresiva del esófago) lo que podría evitar los cambios estructurales irreversibles que pueden ocurrir secundariamente a la dilatación crónica del esófago.

En nuestro caso decidimos prolongar el tratamiento bastante tiempo más del empleado en los estudios principalmente por tres razones:

La primera porque a los 15 días aun presenta un DER alto y al suspender la medicación la primera vez reaparecen los episodios de regurgitación.

En segundo lugar porque según lo publicado en un caso clínico (5) la mejoría fue mayor al prolongar el tiempo de tratamiento, permitiendo que el animal no tuviese que comer en posición erguida.

Y en tercer lugar porque el animal no presentó ningún efecto adverso durante todo el tratamiento y los cuidadores

valoraban como muy buena su calidad de vida.

Una limitación de nuestro trabajo es que solo se presenta un caso y que éste podría corresponder al porcentaje de los animales con MCI que presentan mejoría espontanea al año de edad, pues se cree que el MCI puede deberse a un retraso del desarrollo de la inervación neuromuscular del esófago. Si esto fuera así, puede, como hemos comentado anteriormente, que el sildenafilo, al facilitar la relajación del EEI y el vaciamiento del esófago haya contribuido a que este no permanezca dilatado de forma crónica mientras se desarrolla su inervación.

En conclusión, nuestro trabajo muestra que el sildenafilo ha sido eficaz en el manejo de un caso de MCI, permitiendo al animal llevar una vida totalmente normal sin ningún efecto adverso.

Recientemente se ha publicado un trabajo donde mediante estudios de deglución videofluoroscopica en perros alimentados libremente (7), se ha documentado que un 61% de perros con ME que se clasificarían como idiopáticos, padecen un síndrome similar a la acalasia esofágica inferior, donde hay una falta de relajación del EEI en respuesta a la deglución faríngea. Problema que podría ser tratado con el sildenafilo.

Serian necesarios estudios con mayor número de perros para evaluar la efectividad, protocolos de tratamiento y mecanismo de actuación del sildenafilo para el tratamiento del ME canino.

Bibliografía

1. Washabau R J, Day M J, Canine and Feline Gastroenterology, Elsevier Saunders, St. Louis, M O, pp.591-594, 2013.

2. Fox, M et al., Sildenafil relieves symptoms and normalizes motility in patients with oesophageal spasm: a report of two cases. Neurogastroenterology and Motility. 2007; 1:, 798-803.

3. Zhang, X et al, Effect of sildenafilo, a phosphodiesterase-5 inhibitor on oesophageal peristalsis and lower oesophageal sphincter function in cats. Neurogastroenterology and Motility.2001; 16: 13-21.

4. Quintavalla, F et al, Sildenafil improves clinical signs and radiographic features in dogs with congenital idiopathic megaoesophagus: a randomised controlled trial. Vet Rec.2017; 180: 404.

5. Tu, YJ. Chung, Ch.Lin, LS, Using sildenafilo to treat a dog with idiopathic megaesophagus.Taiwan Vet J.2020;46: 1-6.

6. Mehain, SO et al, A randomized crossover study of compounded liquid sildenafilo for treatment of generalized megaesophagus in dogs. AJVR. 2022;83(4):317-323.

7. Grobman, M.E, et al. Mechanical dilation, botulinum toxin A injection,and surgical myotomy with fundoplication for treatment of lower esophageal sphincter achalasia-like syndrome in dogs.J Vet Intern Med. 2019;33:1423-1433.

• • premio ignacio menes

GRUPO DE PREPARACIÓN DE OPOSICIONES

PRUEBAS EN PREPARACIÓN (TURNOS SEPARADOS)

Comunidades autónomas

Asturias:

• Próxima convocatoria 16 plazas próxima OEP 2023-24. Incluye lista de interinos.

Castilla y León:

• Próxima convocatoria 40 plazas OEP 2021 + 27 plazas OEP 2022 + próxima OEP 2023.

Galicia:

• Próxima convocatoria 38 plazas libres OEP 2021 + 9 plazas OEP 2022 + próxima OEP 2023. Incluye lista de interinos.

Cantabria:

• 13 plazas libres OEP 2020-21 (en curso). Incluye lista de interinos.

• Próxima OEP 2022-23.

Administración General del Estado

Cuerpo Nacional Veterinario:

• Próxima convocatoria 119 plazas OEP 2021-22.

• Próximas OEP 2023 + 2024.

Información sobre mecánica del examen del CNV en: https://www.youtube.com/watch?v=8XcQe29_WvgCE

Disponible temarios de resto de comunidades autónomas

CARACTERÍSTICAS DEL GRUPO

Actualmente adaptados a la situación Covid-19

• Equipo de preparación: 2 funcionarios de carrera del Principado de Asturias + 2 funcionarios del CNV bajo la coordinación de Eduardo Vijil.

• Temarios completos, actualizados y con © propio; Test; Guión-resumen de cada Tema; Casos prácticos.

• Sede las clases: Ilustre Colegio Oficial de Veterinarios de Asturias (Plaza de América, 10. Oviedo)

• Periodicidad quincenal (viernes tarde y sábado mañana).

• Condiciones preferenciales colegiados.

• Desarrollo de las clases Asturias:

— Explicación de un grupo de 5-7 Temas por sesión.

— Ejercicio Test y Práctico acerca de los Temas explicados en la clase anterior (1er y 2º exámenes).

— Elaboración del guión-resumen de cada Tema y de sus combinaciones, de cara al ejercicio escrito que contiene la Convocatoria (3er examen).

— Sesiones recapitulatorias cada 4 clases.

• Desarrollo de las clases CNV:

— Explicación, entrega y actualización de un grupo de Temas afines entre sí.

— Elaboración y entrega de varios supuestos de preguntas relacionadas pero no coincidentes sobre dicho grupo de Temas, de cara al 1er ejercicio escrito.

— Elaboración y entrega del guión-resumen que debe emplearse para el ejercicio oral de dichos Temas (3er ejercicio), así como la práctica individualizada de dicho examen oral.

— Resolución de casos prácticos sobre los Temas explicados en la quincena anterior (4º ejercicio).

ÚLTIMOS RESULTADOS

· Aragón 2017-2018 (final): 10 de 10 aprobados (nº 1) // 2021 (final): 19 de 24 aprobados (nº 1 incluido) // 2022 (final): 41 de 47 aprobados.

· Castilla La Mancha Cuerpo Superior 2022 (final): 6 de 11 aprobados (nº 1 incl.) // CLM Sanitarios Locales 2022 (final): 15 de 28 aprobados.

· Cantabria 2017 (final): 12 de 20 aprobados // 2020 (final) 12 de 15 aprobados (nº 1 incluido).

· Cuerpo Nacional Veterinario 2018 (final): 19 de 40 aprobados // 2019 (final): 22 de 51 aprobados

· Diputación Foral de Gipuzkoa 2020 (final): 5 de 9 aprobados.

· Murcia 2017-2020 (final): 25 de 43 aprobados (nº 1 incluido).

· Diputación Foral de Álava 2018-2019 (final): 8 de 18 aprobados.

· La Rioja 2018-2019 (final): 2 de 2 aprobados (nº 1 incluido).

· Navarra 2017 (final): 4 de 6 aprobados // 2021 Salud Pública (final): 14 de 22 aprobados.

invierno 2023 veterinariae 21
edvijil@yahoo.es | Tel. 617 22 48 53 | www.oposicionesveterinaria.es

fuera de hora

Gabriel Tuset Fernández

Recientemente, Gabriel comenzó a trabajar en la clínica donde realizó prácticas a lo largo de la carrera de Veterinaria, en La Granja, Avilés, y en sus ratos libres practica deporte.

¿Desde cuándo tu afición como deportista?

Siempre practique deporte desde pequeño, ya que mi madre nos obligaba a mi y mis hermanos a hacer algún deporte por las tardes al salir del colegio para manteneros ocupados y no estar siempre en casa, así que, yo diría, que desde los seis años que comencé a hacer judo.

¿Qué deportes practicaste y con qué intensidad?

Pues el primer deporte al que me apunté fue a judo, pero duré un año sólo, no recuerdo que me gustara mucho, ya que empecé con seis años, s é que despu é s empec é a jugar al baloncesto varias temporadas, logrando ser campeones de Asturias en categorías menores; no recuerdo muy bien si era categoría

benjamín o alevín. Después del baloncesto comencé a hacer tenis y no se me daba mal, estaba en un grupo con gente mayor que yo, pues el entrenador me recomend ó cambiar. Luego, tras bajar el río Sella con unos amigos, comencé a aficionarme al piragüismo, practicándolo durante nueve años, incluso durante los tres primeros años de carrera, aunque sí a un nivel muy light. Por último, empecé hace un año a hacer triatlón. También, durante el invierno, siempre que puedo, me gusta hacer una escapada a la nieve para esquiar o hacer snowboard.

¿Cuándo optaste por el triatlón?

Lo del triatlón fue de sorpresa; no me lo había planteado nunca pero hace dos veranos que me dio por salir en una bici y al ir a Lugo a estudiar hablé con una compañera

• Antes de tirarse al agua para empezar a competir, en el triatlón de Pontevedra. • Triatlón del Miño en Lugo en la T1 (transición de nadar a bici).

22 veterinariae número treinta y cinco
«Me queda mucho por mejorar en las tres disciplinas, sobre todo la natación, pero en donde mejor me encuentro es en la bici»

de clase que hacía triatlón, salí con ella en bici un par de veces y me dijo que fuera a probar a nadar y correr con ellos; fui, me animé y me enganchó este deporte.

¿Cómo es el triatlón?

Se compone de tres deportes empezando por la natación luego bici y por último correr. Dentro del triatlón encontramos distintas distancias, siendo sprint la más corta, y larga distancia o distancia ironman, la más larga. La distancia sprint: 750 metros de natación, 20 kilómetros pedaleando y 5 kilómetros corriendo; la distancia olímpica: 1500 metros, 40 km, y 10km; la media distancia: 1.900m / 90km /21km. Y larga distancia: 3.800m / 180km / 42km. Yo hago sprint y olímpica.

Lo del triatlón fue de sorpresa; no me lo había planteado nunca pero hace dos veranos que me dio por salir en una bici y al ir a Lugo a estudiar hablé con una compañera de clase que hacía triatlón, salí con ella en bici un par de veces y me dijo que fuera a probar a nadar y correr con ellos; fui, me animé y me enganchó este deporte

¿A qué entrenamientos te obliga?

Cabe decir que es un deporte muy sacrificado, ya que requiere de muchas horas de entrenamiento para poder alcanzar un nivel competitivo algo decente, normalmente suelo hacer tres sesiones de natación a la semana, tres de bici y tres de carrera, lo que significa que varios días tienes doble sesión. Muchas veces sacrifico el tiempo libre o tiempo de sofá para sacar horas de entrenamiento.

¿Dónde competiste y qué resultados alcanzaste?

He disputado varios triatlones y duatlones populares (al principio de temporada suelen ser duatlones: correr/bici/ correr), así como el circuito gallego de ambos deportes ya que actualmente me encuentro en un club gallego, lo que me tiene en un continuo sin fin de viajes. Y los campeonatos de Asturias de distancia sprint y olímpica, disputé el campeonato de España de duatlón celebrado en Avilés y el campeonato de España de triatlón por clubes en A Coruña donde mi club buscó el ascenso a tercera división. Respecto a los resultados fui siempre en un progresión creciente llegando a las últimas carreras estar siempre de la mitad hacia delante. El pasado 25 de septiembre logramos el tercer puesto en el campeonato gallego de triatlón por equipos contra el crono.

¿En cuál de estas tres especialidades eres mejor competidor?

Me queda mucho por mejorar en las tres disciplinas, sobre todo la natación,

• En el segmento de carrera a pie en el campeonato de Asturias; sprint en Luarca. • Saliendo del segmento de la natación, en Lugo.

pero en donde mejor me encuentro es en la bici, es lo que más me gusta, en la carrera a pie no lo hago mal pero hay gente que, como se dice en el argot, patea mucho.

¿Algún deportista en el que te fijas especialmente o tienes como modelo?

Un gran referente es Saul Craviotto, que es un gran piragüista, y me fijo mucho en el campeón olímpico de triatlón en tokio Kristian Bluemenfelt, que no es un gran nadador pero con una buena bici y una gran carrera a pie es capaz de remontar y alzarse con el triunfo.

¿Qué te gustaría conseguir como deportista?

Como reto personal me gustaría clasificarme algún día para un campeonato de España de élite y mirando a largo plazo no dejar de disfrutar del deporte y ser capaz de compaginar la vida laborar con el deporte.

invierno 2023 veterinariae 23

SERVICIOS AL COLEGIADO

Formación Continuada de Todas las Disciplinas Veterinarias - Descuento 50% colegiados - Descuento 100% parados

Revista Veterinaria (trimestral)

Revista Información Veterinaria (trimestral)

Boletin Colegial (quincenal)

Joven

Gestión Identificación Animales de Compañía (RIAPA)

Gestión Identificación Équidos (RIAPA)

Plataforma Receta Electrónica (REVEPA)

Clínicas Veterinarias de Calidad - Inspección - Censo - Acreditación 18 Cruz Veterinaria – Marca Registrada - Pago Aplazado sin Intereses 19 Premios Científicos Ignacio Menes - Dotación 3.000 ¤

20 Actos de San Francisco - Insignia de Plata (25 años colegiados) + Reloj - Insignia de Oro (50 años colegiados) + Reloj - Recién Jubilados - Nuevos Colegiados - Cena + Fiesta + Sorteo regalos 21 Fiesta Infantil Navidad - Actuación - Regalos - Merienda 22 Reunión Veterinarios Jubilados - Comida + Regalos

23 Reunión Anual Colegiados Zona Oriente - Cena

24 Reunión Anual Colegiados Zona Occidente - Cena 25 Reunión Anual Colegiados Zona Suroccidente - Cena 26 Agenda personalizada

1
2
3
4
5
6
7
8
9
14
15
Gestiones Secretaria Colegial
Asesoría Jurídica
Asesoría Fiscal
Seguro RCP
Seguro Vida
Seguro Accidente
Seguro Auxilio Defunción
Seguro Decesos
Seguro
10
11
12
13
16
17

Turn static files into dynamic content formats.

Create a flipbook
Issuu converts static files into: digital portfolios, online yearbooks, online catalogs, digital photo albums and more. Sign up and create your flipbook.