2 Guest editorial
Can you count the monkeys on your back?
13 PE care
CAROTID DISEASE
6 BEST-CLI watch European cohort study provides ‘strong positive evidence’ for surgery over endovascular intervention

![]()
2 Guest editorial
Can you count the monkeys on your back?
13 PE care
6 BEST-CLI watch European cohort study provides ‘strong positive evidence’ for surgery over endovascular intervention

The recent move by the Centers for Medicare & Medicaid Services (CMS) to expand coverage for carotid artery stenting brought with it the requirement for a shared decisionmaking interaction between physicians and patients as they establish which carotid revascularization treatment modality is best for their disease. Currently, a validated tool does not exist—but investigators at Dartmouth Hitchcock Medical Center are working on research aimed at changing that.
By Bryan Kay
Now that the decision has been made to expand Medicare coverage for carotid artery stenting to include patients who have symptomatic carotid stenosis ≥50% and asymptomatic ≥70%, the stage has been set.
Yet, as Brianna M. Krafcik, MD, a vascular surgery resident at Dartmouth Health in Lebanon, New Hampshire, reflects, just over a year ago, long before the controversial move went under the spotlight, she and
See page 4
Here are your options...
By Bryan Kay
...I would like to choose the treatment with my doctor
I understand the treatment options for my carotid disease
Surgeon experience and outcome data are very important
The pulmonary arterial tree—is it time to branch out?
19 Obituary
Roger M. Greenhalgh, SVS International Lifetime Achievement Awardee, dies aged 82 In this issue:

www.vascularspecialistonline.com
By Beth Bales
VOTING MEMBERS OF the Society for Vascular Surgery (SVS) will have the opportunity to consider a bylaws referendum, with key amendments related to membership and the composition of the SVS Executive Board.
The voting follows the SVS Strategic Board of Directors’ formal approval of the Executive Board’s proposals. Voting will begin Nov. 6 and run through Nov. 20.
Key amendments include Article III changes, which involves providing enhanced privileges for Early Active members. Approval will “codify” the establishment of “Early Active” membership in the SVS for those who have completed their training but are not eligible for Active membership. This has been piloted over the past year with great success and support. Early Active members will be able to serve on committees and vote in SVS elections. Currently, only Active and Senior SVS members may vote.
There are also changes to Articles V and VII concerning the composition of the Executive Board. Approval will alter the composition of the Executive Board so it aligns with current best practices for medical societies to establish “competency-based” models of governance that provide
See page 6
The complete patientlevel dataset on paclitaxel and death that helped sway FDA
By Will Date
DATA FROM A PATIENT-LEVEL META-ANALYSIS—A factor in the Food and Drug Administration’s (FDA) recent change of position on the use of paclitaxel-coated devices to treat peripheral arterial disease (PAD)—have been made public for the first time at TCT 2023 (Oct. 23–26) in San Francisco. The analysis led investigators to conclude that there is no association between mortality risk and paclitaxel-coated device exposure or dose, and should provide reassurance to patients, physicians and regulators on the safety of paclitaxel-coated devices, they say.
Medical Editor Malachi Sheahan III, MD
Medical Editors
Associate
Bernadette Aulivola, MD | O. William Brown, MD | Elliot L. Chaikof, MD, PhD
| Carlo Dall’Olmo, MD | Alan M. Dietzek MD, RPVI, FACS | Professor HansHenning Eckstein, MD | John F. Eidt, MD
| Robert Fitridge, MD | Dennis R. Gable, MD | Linda Harris, MD | Krishna Jain, MD | Larry Kraiss, MD | Joann Lohr, MD
| James McKinsey, MD | Joseph Mills, MD | Erica L. Mitchell, MD, MEd, FACS
| Leila Mureebe, MD | Frank Pomposelli, MD | David Rigberg, MD | Clifford Sales, MD | Bhagwan Satiani, MD | Larry Scher, MD | Marc Schermerhorn, MD | Murray L. Shames, MD | Niten Singh, MD | Frank J. Veith, MD | Robert Eugene Zierler, MD
Resident/Fellow Editor
Christopher Audu, MD
Executive Director SVS
Kenneth M. Slaw, PhD
Managing Editor SVS Beth Bales
Manager of Marketing
Kristin Spencer
Communications Specialist
Marlén Gomez
Published by BIBA News, which is a subsidiary of BIBA Medical Ltd.
Publisher Roger Greenhalgh
Content Director Urmila Kerslake
Head of Global News Sean Langer
Managing Editor Bryan Kay
bryan@bibamedical.com
Editorial contribution Jocelyn Hudson, Will Date, Jamie Bell, Éva Malpass and George Barker
Design Terry Hawes and Wes Mitchell
Advertising Nicole Schmitz
nicole@bibamedical.com
Letters to the editor
vascularspecialist@vascularsociety.org
BIBA Medical, Europe
526 Fulham Road, London SW6 5NR, United Kingdom
BIBA Medical, North America
155 North Wacker Drive – Suite 4250, Chicago, IL 60606, USA
Vascular Specialist is the official newspaper of the Society for Vascular Surgery and provides the vascular specialist with timely and relevant news and commentary about clinical developments and about the impact of healthcare policy. Content for Vascular Specialist is provided by BIBA News. Content for the news from SVS is provided by the Society for Vascular Surgery. | The ideas and opinions expressed in Vascular Specialist do not necessarily reflect those of the Society or the Publisher. The Society for Vascular Surgery and BIBA News will not assume responsibility for damages, loss, or claims of any kind arising from or related to the information contained in this publication, including any claims related to the products, drugs, or services, or the quality or endorsement of advertised products or services, mentioned herein. | The Society for Vascular Surgery headquarters is located at 9400 W. Higgins Road, Suite 315, Rosemont, IL 60018. POSTMASTER: Send changes of address (with old mailing label) to Vascular Specialist, Subscription Services, 9400 W. Higgins Road, Suite 315, Rosemont, IL 60018. | RECIPIENT: To change your address, e-mail subscriptions@bibamedical.com | For missing issue claims, e-mail subscriptions@bibamedical. com. | Vascular Specialist (ISSN 1558-0148) is published monthly for the Society for Vascular Surgery by BIBA News. | Printed by Vomela Commercial Group | ©Copyright 2023 by the Society for Vascular Surgery
By Bhagwan Satiani, MD
Periodically, when under pressure at work, and sometimes at home, I would think about what I could do to free up more time for myself and the family. How I could prioritize or drop tasks that were unimportant. There were and are many books and articles advising us how to prioritize assignments. Over time, most of us have devised an imperfect system to deal with non-urgent tasks. A high-level approach to separate the chaff from the wheat may start with things such as your own goals, organizational objectives followed by a variety of individual objectives. However, the day-to-day pesky problems added to our calendar continue to test our time-management skills.
Time-management techniques and tools have progressed from handwritten notes and checklists to paper and now electronic calendars. Many years ago, Stephen Covey postulated that we are managing ourselves, not just our time, and that our goal should be prioritizing relationships and results. His book, called The 7 Habits of Highly Effective People, is one of the best time management books I have read. Since this was written in 1990, many of my younger colleagues may not have read it. Besides discussing how to cultivate the seven habits, the book has practical advice about separating tasks by urgency and importance in a time management matrix. The two-by-two grid with four quadrants has “important” and “not important” on the y axis and “urgent” and “non urgent” on the x axis. This matrix also goes by the “Eisenhower matrix.” If you are still struggling with time management, it may be worth using this simple tool.
While the grid was helpful in prioritizing tasks one has already accepted, I soon realized that the advice was useful after I had already committed and taken on many of these management tasks. This is where the “monkeys” arrived into my life.
I came across an article in Harvard Business Review in 2011 about tasks or “monkeys” in relation to time management problems for managers.1 The source of this metaphor is uncertain. Speculation ranges from Sinbad the Sailor in Arabian Nights carrying a person or an ape across water who would then not leave, to denoting lugging a load of anger or even carrying the burden of drug or alcohol addiction. In general terms, the idiom means dealing with a difficult-toresolve task or problem, but in practical terms it connotes a task or burden that has been transferred to you, willingly or not.2
An older “Grady” physician like me (alumnus of Grady Hospital in Atlanta, part of Emory University and Morehouse) quoted George Michael as singing, “Watch out! Baby who’s that? Don’t look now—there’s a monkey on your back!” and reminded readers of that idol of yesteryear Peter Gabriel, who, while made up as a shaman, sang, “Don’t you know you’ve got
to shock the monkey?”3 Gabriel’s context was not about animal cruelty or People for the Ethical Treatment of Animals (PETA), but about jealousy, which can trigger animal-like behavior. I think he may have been onto something. The constant scratching and emotional toll of one or more monkeys on our backs for months or years may in fact lead us to overreact and act like wounded spirits—not due to jealousy but helplessness.
The ex-Grady doc discusses management time at work in three practical categories: boss-imposed, system-imposed and self-imposed time. At work, the monkeys are usually boss or systemimposed varieties.
While monkeys have many species, for discussion purposes, our monkeys come in three varieties: those that are invited in, others who we unintentionally invited in and feed for a while, and those that are forced on us who live on our backs till we get rid of them.
Then there are those monkeys who are unwittingly invited through emails or phone calls. If you are known to be a “giver,” according to psychologist Adam Grant, chances are you are highly susceptible to this dialogue. The shifting, or giving of a task (“monkey transfer”) may go like this: “I have heard you are an expert in… so, can you help me make sense of this? It will only take a few minutes... (take your pick: chapter, abstract, manuscript, statistics)?” Full disclosure: I have shamelessly used this tactic too.
Or: “I just need to pick your brains for a few minutes about… since our mutual acquaintance Dr. Y told me you helped her with...’ I am guilty of this too, but only after helping someone several times, which then forces me to switch to becoming a “matcher” so I can seek reciprocity.
Time management techniques and tools have progressed from handwritten notes and checklists to paper and now electronic calendars

The uninvited monkeys are a different problem. These are friends of friends, or relatives of relatives, who forward their images or reports. Outside of work, it’s the same pattern. In my experience as a “retired” physician, most of them are invited in. Sometimes, the transfer is so well done that I am not aware that I invited them in. I am guessing others may also have read this Harvard Business Review article and know how to seamlessly transfer the monkey(s)! Some weeks, I am dealing with the health issues of at least two to three relatives, good friends or acquaintances across the globe. Most of us gladly accept these demands, but the pace picked up after my retirement. Please do not get me wrong: I derive satisfaction from being able to assist in whatever way I can, whether it is getting someone a quicker appointment, a second opinion, or guiding them to the right physician. Any person I can direct to appropriate care, I count as a victory. It is when a five-minute informal advice changes to making a medical decision for someone who ends up asking the usual question: “What would you do if you were in my place?” One must be careful here as the “monkey” is now in transfer mode and ready to make the jump to your back.
It is a cliché, but prevention is the best medicine for this very underestimated time waster. My advice is, unless you are looking to impress your boss, or do not wish to spend any time at home, be on “monkey alert” so you can spot the incoming
continued on page 4


Right Size, Every Time
Expandable element to treat vessels 6 - 20 mm in diameter


Accurate and immediate torque response in targeted segment
continued from page 1
colleagues failed to garner much attention when they submitted a review paper that looked at the decision aids available to carotid stenosis patients considering intervention versus medical therapy.
Now there is a need. A shared decision-making interaction has been mandated in CMS’ final decision memo. Amid the vacuum, the work of Krafcik and colleagues is suddenly taking center stage. This includes a paper recently presented at the 2023 New England Society for Vascular Surgery (NESVS) annual meeting in Boston (Oct. 6–8) that lays down some foundational pieces in the process toward creating such a tool—one that can be used across the multiple specialties treating carotid stenosis patients, and incorporate all options, including transcarotid artery revascularization (TCAR), approved in 2015 and not part of prior decision aids.
“When we did the review paper—which is currently submitted for publication—more than a year ago, we only found four studies that looked at decision aid instruments with any kind of scientific method,” Krafcik explains in an interview. “I think that review paper shows that even those four instruments that have been studied, anecdotally and in the literature, it has been shown that they are pretty underutilized both by vascular surgeons and also interventional radiologists—for interventionalists who are working in carotid disease there is almost nothing. Medicare is asking for a decision aid that doesn’t exist, so the stage is set to create such an instrument.”
approximately 70% of patients agreed that they understood their carotid disease and the treatment options available. Patients reporting on factors important to them when considering procedures in general felt the surgeon’s experience with the procedure and the presence of long-term outcomes data were very important, while the length of the operation and size of the incision were less important.”
Concluding, Krafcik and colleagues said in the present era of multiple treatment options, “patients should be presented with all available information when discussing carotid revascularization. A shared decision-making discussion consistent with the patients’ values and level of desired involvement improves patient satisfaction and compliance.”

The latest research from the Dartmouth group, led by Krafcik and senior author Jesse A. Columbo, MD, an assistant professor of surgery at Dartmouth, looks to plug a gap in qualitative data regarding patient understanding of carotid disease.
They found that there is a “complicated interplay between patient values, understanding of the procedures, and preferred level of involvement in medical decision-making” that contributes to a patient’s ultimate decision. They carried out longitudinal perioperative semi-structured interviews with 20 carotid stenosis patients eligible for both carotid endarterectomy and transcarotid artery revascularization (TCAR)—10 for each procedure.
“In the patient surveys, the most important source of information regarding the procedures was the vascular surgeon followed by any written materials they may have received, while TV or videos were generally less important,” Krafcik told NESVS 2023. “When patients were asked about their feelings towards shared decision-making, most would like to discuss all treatment options with the physician and make a decision together. However, only
Krafcik tells Vascular Specialist the Dartmouth team are currently working with social scientists, the Vascular Quality Initiative (VQI) and other organizations in order to try to create a pilot instrument that can be studied “in an iterative way.” “From there, once we have a prototype, then we can study it for usability, accessibility and feasibility so it can then be scaled up to a multicenter study that takes into account different regions, education level and sociodemographic factors. That’s the long-term plan,” she added.
Importantly, Krafcik explains, the goal is to create a decision feed that will have “buy-in” across the different specialties treating carotid stenosis. “If a patient were to see a cardiologist and be given this decision aid, and based on the information says, ‘I actually would prefer an open carotid endarterectomy,’ that the cardiologist would be OK saying, ‘Then, I’ll refer you to a vascular surgery colleague.’ I think now that more providers are going to be doing these procedures, our decision aid should encompass and have buy-in from all of the different specialties.”
Krafcik says two things in particular from the study struck her— the impact that the surgeon has on patients and that not every patient wants to participate in shared decision-making or wants to participate in the same way. “A lot of the patients would, when I asked them to explain the procedure in their own words, reiterate what their surgeon told them,” she relates. “When asked why they decided, they said it seemed like their surgeon felt that this one was better than the other.” Preoperative conversations are time-limited, Krafcik adds, “so understanding first how involved the patient wants to be, how much info they want, and how they prefer to receive it is helpful in guiding the discussion, because there is not really a one-size fits-all preoperative discussion.”
EDITORIAL CAN YOU COUNT THE ‘MONKEYS’ ON YOUR BACK?
continued from page 2
transfer prior to it leaving the transferor. If the creature has already started jumping through neutral space, the game is lost. Most often, it starts with an attempt to make it a mutual problem with statements like, “How should we deal with this?” The monkey is now in neutral territory or, as the authors put it, “the monkey in each case begins its career astride both their backs,” and then makes the leap.1
If you do not prevent the transfer, plot carefully about getting rid of the monkey. But where does the creature finally go? Your options are convincing someone that the monkey belongs to them, to punt it upstairs with the task resolved, boot it down to a subordinate, or ignore it hoping
the other side forgets. Based on experience, the last option is your best one. Another piece of advice offered is to “pet the monkey” while it is in someone else’s lap, or on their shoulder/back, and solicitously show some empathy while changing the topic and discouraging transfer.
William Oncken, Jr. and Donald L. Wass have a few useful rules for managers struggling to deal with the “care and feeding of monkeys.”1 First, one either feeds them or gets rid of them, but does not continue to deal with them through vague language. Next, do not spend more than 15 minutes on a single monkey, and feed them only face-to-face or by telephone—and only with an appointment. They suggest avoiding being at your desk
THE CENTERS FOR MEDICARE & Medicaid Services (CMS) last month released the final decision regarding National Coverage Determination (NCD) 20.7 covering carotid artery stenting (CAS), essentially confirming the coverage expansion outlined in a July proposed decision memo.
In a communique to its members, the SVS said the final decision contained “few substantive changes from what was proposed in July.”
CMS outlined in the decision memo, dated Oct. 11, that it had found “coverage of percutaneous transluminal angioplasty [PTA] of the carotid artery concurrent with stenting is reasonable and necessary with the placement of a Food and Drug Administration [FDA]-approved carotid stent with an FDA-approved or cleared embolic protection device” for Medicare patients who have symptomatic carotid stenosis ≥50% and asymptomatic carotid stenosis ≥70%.
In the July proposed decision, the federal agency detailed an expansion that would significantly broaden coverage for carotid stenting, extending Medicare coverage to individuals previously only eligible for coverage in clinical trials, removing the limitation of coverage to only high-surgical-risk individuals, and removing facility standards and approval requirements.
“The SVS is disappointed with the CMS decision to finalize its proposal for expanded coverage for PTA with CAS [NCD 20.7] without any substantive revisions,” the SVS said in a statement.
too long since that is where your computer and phone are. This is also where monkeys are waiting to switch parties. Much easier to be elsewhere since you do not have your calendar with you, or are busy in the clinic or the OR. Finally, they advise an assigned feeding time and to pre-determine the degree of effort you wish to put in it. Better still, you could offer some time next Wednesday at 5 p.m. to hear more about the potential transfer. Chances are they have forgotten, and you will not get the call. But if you do, they probably really need your help. Alas, some of these rules are hard for we “retirees,” as people assume we sit around
all day waiting to welcome the monkey. My best advice is to beware of this type of “transfer.” After you have received a monkey or two, you will know which people are anxious to make their own load lighter.
References
1. Management Time: Who’s Got the Monkey? https://hbr.org/1999/11/ management-time-whos-got-the-monkey
2. https://www.idioms.online/monkey-onyour-back/
3. http://www.gradydoctor.com/2013/09/dontlook-now-theres-monkey-on-your-back.html
BHAGWAN SATIANI is a Vascular Specialist associate medical editor.
By Steven D. Abramowitz, MD and Paul J. Gagne, MD
The benefits of utilizing intravascular ultrasound (IVUS) in peripheral vascular interventions has been widely demonstrated in the literature. In nearly every vascular bed studied, we have seen an improvement in overall outcomes. Over the last several years, clinical data in support of IVUS has exploded, including the first-ever randomized controlled trial (RCT) of the modality that demonstrated its use has changed treatment plans in 79% of arterial cases.1 In addition, an analysis of over 500,000 patients demonstrated that IVUS improved outcomes with a 27% reduction in major adverse limb events (MALEs).2 The use of IVUS in the venous vasculature has also demonstrated clinically significant improvements in outcomes. A real-world analysis of IVUS use in the treatment of venous disease demonstrated a 28% risk reduction for repeat intervention, hospitalization or death.3 These data build on the VIDIO (Venogram vs. IVUS for diagnosing iliac vein obstruction) study findings, which like the arterial RCT, demonstrated IVUS changed treatment plans in nearly 60% of venous cases,4 identifying patients with severely symptomatic central pelvic vein occlusive disease that would have been missed with other routine imaging. With these compelling data in mind, a group of 40 cross-specialty physicians published a consensus paper regarding the use of IVUS in peripheral interventions, where they agreed that the use of IVUS was strongly recommended in all interventional phases of both arterial and venous procedures.5
With advanced visualization tools like IVUS, we can get a 360-degree view inside the vessel, allowing us to accurately assess the severity of disease and create a specialized approach to treatment.
Case review: Arterial example
Here, we present a case of a patient with severe ischemic rest pain and an ankle-brachial index (ABI) of 0. The patient was a prior smoker who had multiple prior interventions for critical limb ischemia (CLI) and tissue loss. In 2021, the patient had a second femoral-to-tibial artery bypass and was lost to follow-up.
patient reported marked symptomatic improvement, and non-invasive duplex imaging showed DVA patency.
Venous example
Here, we present a case of a 65-year-old Caucasian female with a three-year history of left leg swelling, heaviness and achiness, which improved with elevation. She had no history of prior deep vein thrombosis (DVT), venous interventions, peripheral artery occlusive disease, leg trauma, congestive heart failure or chronic kidney injury. The symptoms improved overnight while in bed, and returned the next day. She woke up in the morning free of these symptoms, but, by evening, she was






On angiogram, there was redemonstration of superficial femoral artery and popliteal artery stent occlusion, and chronic occlusion of both the anterior tibial and posterior tibial target bypasses. There was no arterial reconstitution of viable open or endovascular target vessels in the foot.
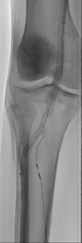
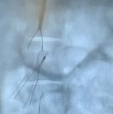
Deep venous arterialization (DVA) was performed using the Pioneer Plus catheter for IVUS-guided arterial re-entry (see Figure 1). Visualization of the popliteal artery re-entry target by IVUS allowed for rapid crossing from the posterior tibial venous access site (see Figure 2).

The use of covered self-expanding stents and percutaneous balloon angioand venoplasty formalized the iatrogenic arteriovenous fistula. Post-intervention IVUS using the Reconnaissance .018 OTW IVUS catheter verified appropriate luminal gain and aided identification of incomplete venous valvular disruption in the foot ( see Figure 3 ). Target areas of venous outflow were addressed with repeated venoplasty. At one-month follow-up, the
residual stenosis (Figure 6). On follow-up exam one week later, the stent was widely patent on duplex ultrasound, and the patient remarked, “I can see my ankle again!” The heaviness, achiness and erythema resolved during the following weeks. Through five years of follow-up, she had no recurrence of her symptoms or physical findings of chronic venous hypertension and insufficiency.
References
1. Allan R, Puckridge P, Spark J, et al. The Impact of Intravascular Ultrasound on Femoropopliteal Artery Endovascular Interventions. J Am Coll Cardiol Intv 2022 Mar, 15 (5) 536–546. https://doi. org/10.1016/j.jcin.2022.01.001
2. Divakaran S, Parikh SA, Hawkins BM, et al. Temporal Trends, Practice Variation, and Associated Outcomes With IVUS Use During Peripheral Arterial Intervention. JACC Cardiovasc Interv. 2022;15(20):20802090. doi:10.1016/j.jcin.2022.07.050
3. Divakaran S, Meissner MH, Kohi MP, et al Utilization of and Outcomes Associated with Intravascular Ultrasound during Deep Venous Stent Placement among Medicare Beneficiaries. J Vasc Interv Radiol 2022;33(12):1476-1484.e2. doi:10.1016/j. jvir.2022.08.018
4. Gagne PJ, Tahara RW, Fastabend CP, et al Venography versus intravascular ultrasound for diagnosing and treating iliofemoral vein obstruction. J Vasc Surg Venous Lymphat Disord. 2017;5(5):678-687. doi:10.1016/j. jvsv.2017.04.007
5. Secemsky EA, Mosarla RC, Rosenfield K, et al. Appropriate Use of Intravascular Ultrasound During Arterial and Venous Lower Extremity Interventions. JACC Cardiovasc Interv. 2022;15(15):1558-1568. doi:10.1016/j.jcin.2022.04.034
quite uncomfortable. On physical exam, she had erythema in the gaiter distribution of the lower- and mid-calf circumferentially, with skin induration and edema of the calf. She had no open wounds. She had no visible varicose veins.

On left lower-extremity venous duplex ultrasound exam, the patient had no significant infrainguinal superficial vein disease. There was significant multi-segmental deep vein reflux, with a reflux time of >1 second. There was no acute DVT, nor any evidence of deep vein scar to indicate a prior DVT.
Evaluation of the central veins in the pelvis with venogram revealed no focal iliac vein stenosis or filling defect, and there were no cross-pelvic or lumbar collaterals noted. IVUS with the Visions .035 system was performed, identifying a severe cranial external iliac vein (EIV) stenosis (73%), compared to the normal suprainguinal caudal EIV, due to a non-thrombotic iliac vein lesion (NIVL). Normal suprainguinal caudal EIV and severe cranial external iliac vein stenosis (see Figures 4 and 5)
Post-angioplasty and stent, there was no
STEVEN D. ABRAMOWITZ is a vascular surgeon in Washington, D.C. Abramowitz has been compensated for his services for Philips’ further use and distribution. PAUL J. GAGNE is a vascular surgeon with the Vascular Care Group in Darien, Connecticut. Gagne has been compensated for his services for Philips’ further use and distribution.
FEATURED PRODUCTS
The Philips IVUS portfolio—including the Visions PV family of catheters and Reconnaissance .018 OTW—is an important imaging tool that provides a 360-degree vessel view, detailing vessel sizing and morphological lesion characteristics with pinpoint accuracy within the peripheral vasculature.
Philips’ market-leading digital-array IVUS technology allows for fast plug-andplay usability and the high-fidelity image resolution needed for pre-procedural planning accuracy, intraprocedural guidance on device selection, and postprocedural optimization of therapy for patients.
Philips Pioneer Plus is the only IVUSguided re-entry catheter designed to identify true lumen with speed for the most challenging chronic total occlusions (CTOs). With the unique offering of IVUS and a dual-wire system in one device, the Pioneer Plus catheter provides clinicians with IVUS-guided clarity of true lumen re-entry for their patients.
By Jocelyn Hudson
A RECENTLY PUBLISHED STUDY HAS SHOWN THAT lower-limb bypass surgery offered a significantly higher probability of amputation-free survival and wound healing compared with endovascular treatment in patients with chronic limb-threatening ischemia (CLTI). This and other key findings from the study are reported in the European Journal of Vascular and Endovascular Surgery (EJVES).
The research group, led by Jean-Baptiste Ricco, MD, PhD, professor of vascular surgery at CHU de Poitiers in Poitiers, France, aimed to compare the long-term efficacy of lower-limb bypass with that of endovascular treatment in patients with CLTI.
Ricco and colleagues conducted a retrospective, multicenter study with propensity analysis to evaluate the outcomes of patients with CLTI who underwent first-time infrainguinal bypass or endovascular treatment. In the methods section of their paper, the authors elaborate that the retrospective cohort study design was employed using hospital charts of patients treated between January 2015 and December 2021 in four European vascular centers—three in France (the University of Poitiers, the University of Clermont-Ferrand and the University of Toulouse) and one in Italy (the University of Rome, Sapienza).
They detail that the primary outcome was to compare amputation-free survival rates between the two propensity score-matched groups. The secondary outcome was to compare wound healing within the first six months. Major adverse events were compared according to the type of revascularization, Ricco et al note.
The authors share that, overall, 793 patients fulfilled the eligibility criteria, from whom 236 propensity score-matched pairs were analyzed. They specify that the 236 bypass procedures included 190 autogenous bypass grafts (80.5%), 151 (64%) of which were infrapopliteal. The mean follow-up
was 52 months. Ricco and colleagues add that, among the 236 endovascular treatment procedures, the target lesion was the femoropopliteal segment in 81 patients (34.3%), the femoropopliteal and infrapopliteal segments in 101 patients (42.8%), and the infrapopliteal segment in 54 patients (22.9%).
The investigators report in EJVES that amputation-free survival was significantly better in the bypass group at five years (60.5±3.6%) compared with the endovascular treatment group (35.3±3.6%), citing a p value of 0.001.
“Amputation-free survival and wound healing together made it possible to assess the effectiveness of revascularization”
JEAN-BAPTISTE RICCO
Furthermore, they reveal that major amputation occurred in 61 patients (25.8%) in the bypass group and 85 (36%) in the endovascular treatment group (hazard ratio 0.66, 95% confidence interval 0.47–0.92; p=0.14).
In other results, Ricco et al share that the probability of healing was significantly better in the bypass group at six months compared with the endovascular treatment group (p=0.003), and that the median length of stay was shorter for the endovascular treatment group (four days) than for the bypass group (eight days), with a p value of 0.001. Finally, they detail that urgent reintervention and readmission rates were high and did not differ significantly between the groups.
In the discussion section of their paper, Ricco and colleagues acknowledge some study limitations. They write,
for example, that this was a retrospective study and, “despite propensity score matching, the possibility of unmeasured confounders cannot be excluded.” They also recognize that disparities in state funding of French and Italian university hospitals did not allow conduct of a cost analysis of the endovascular therapy and bypass groups.
Also in their discussion, Ricco and colleagues touch upon the significance of the outcome measures used in the study. Amputation-free survival and ischemic wound healing rates are two outcomes of “primary importance” for CLTI patients, they state. “Most previous studies have focused on survival, limb salvage, or amputation-free survival, but these outcomes cannot determine whether, and after how many weeks, wound healing is achieved in patients with CLTI. In this study, amputation-free survival and wound healing together made it possible to assess the effectiveness of revascularization,” the authors elaborate.

The investigators also consider the context of the recently published BEST-CLI trial, which they note provides “substantial clarity” about the midterm outcome—2.7 years median follow-up—showing a lower incidence of a major adverse limb event or death in bypass patients compared with the endovascular treatment group. The authors write, “The present research supports these results with 80.5% of autogenous bypasses made possible by systematic pre-operative [duplex ultrasound] assessment of saphenous veins and arm veins, together with the deliberate choice of a bypass inflow located downstream from the common femoral artery in 62.3% of patients with a combination of [superficial femoral artery] angioplasty above a distal origin graft allowed the patient to be offered autogenous grafting to a distal target.”
They highlight several similarities and differences between the BEST-CLI and the present study. For example, they note that both included the use of up-to-date endovascular techniques such as drug-coated balloons or drug-eluting stents, citing figures of 62% and 60.6%, respectively. On the other hand, they note that mean follow-up was a point of difference between the two studies, with follow-up being 52 months for the present study compared to 32 months for BEST-CLI.
Ricco et al stress that their results provide “strong, positive evidence” that patients receiving bypass surgery for CLTI have a “significantly higher probability” of amputation-free survival and wound healing compared with patients treated with an endovascular procedure. They reiterate that the rate of urgent reintervention and readmission remains high for individuals receiving either procedure.




greater diversity of perspective for decision-making and governance, as well as provide for greater flexibility and agility to address evolving needs over time. The composition of the Executive Board would change in two distinct ways.
The first change increases the size of the Executive Board from nine to 11 members. Currently, the nine members include six elected officers (three elected, and three acceding from previous election) and three appointed members determined by their committee positions: chair of the SVS Community Practice Section, chair of the Program Committee, and a representative from the Strategic Board of Directors. Under the proposal, two additional non-
officer members would be added, with all five serving as “at-large” members, on staggered terms. These members would be selected and appointed by the Executive Board, following consultation with the Nominating Committee and Strategic Board of Directors, based on identified priority gaps in expertise or perspective. At-large members will be required to have been SVS members in good standing for at least five years.
The second change will alter the nominating process for SVS officers (vice president, secretary and treasurer). The Nominating Committee will have the flexibility to bring forward a minimum of two, and maximum of four candidates
from page 1
for each vacant officer position. This will provide opportunity to expand diversity of choice among highly qualified candidates and permit the voting membership to choose. Additionally, the Executive Board and the Strategic Board of Directors will actively compile existing competencies in their respective memberships, identify gaps of needed perspective and expertise, and share these findings with the Nominating Committee.
A review of the changes is available at vascular. org/2023BylawsRef Email governance@ vascularsociety.org















• First to market balloon expandable covered stent
• 6 Fr and 7 Fr compatible on all sizes
• Backed by years of real-world evidence in di cult lesions1
• Proven primary patency at 5 years2
1. Mwipatayi BP, Ouriel K, Anwari T, et al. A systematic review of covered balloon-expandable stents for treating aortoiliac occlusive disease. J Vasc Surg. 2020;72(4):1473-1486.e2. doi:10.1016/j.jvs.2020.01.084
2. Mwipatayi BP, Sharma S, Daneshmand A, et al. Durability of the balloon-expandable covered versus bare-metal stents in the Covered versus Balloon Expandable Stent Trial (COBEST) for the treatment of aortoiliac occlusive disease. J Vasc Surg. 2016;64(1):83-94.e1. doi:10.1016/j.jvs.2016.02.064






























ELIMINATION
76% 2X 8X 46% HIGHER HEALING RATE at 12 Weeks FASTER TIME TO HEALING LOWER RECURRENCE RATE after 36 Months



Unique Multi-Modality Therapy For DFUs 6X 6X MORE LIKELY TO HEAL DFUs in 12 weeks LOWER RECURRENCE rate at 12 months 88% 71% REDUCTION IN HOSPITALIZATIONS at 12 months REDUCTION IN AMPUTATIONS at 12 months 3 3 2 2
1. Tawfick W, Sultan S. Technical and clinical outcome of topical wound oxygen in comparison to conventional compression dressings in the management of nonhealing venous ulcers. Vascular and Endovascular Surgery 2013; 47: 30–37.
2. Frykberg R, Franks P, et al. A multinational, multicenter, randomized, double-blinded, placebo-controlled trial to evaluate the efficacy of cyclical Topical Wound Oxygen (TWO2) therapy in the treatment of chronic diabetic foot ulcers: the TWO2 study. Diabetes Care, 2020.
REFERENCES: Disclaimer: Any person depicted is an actor portrayal and not an actual patient. PAIN SCORE dramatically dropped from 8 to 3 in 13 days
This Multi-modality therapy combines non-contact cyclical Compression with Oxygen and Humidification, is easily added to your care plan, and is self-administered by the patient at home over their dressings, including CCD or UNNA boot, improving compliance and access to care for all. 3512 Seagate Way, Suite 100 Oceanside, CA 92056, USA
3. Yellin J, et al. Reduced Hospitalizations and Amputations in Patients with Diabetic Foot Ulcers Treated with Cyclical Pressurized Topical Wound Oxygen Therapy: Real-World Outcomes. Advances in Wound Care, 2021.
1-760-431-4700 • F: 1-760-683-3063

therapy emerges as a proven woundhealing device for diabetic foot ulcers, showing great promise in venous leg ulcers
Enrico Ascher, MD, and Natalie Marks, MD, currently combine for close to 60 years of vascular surgery practice experience in New York City’s 3 million-strong populous borough of Brooklyn. Between them they see a steady stream of patients with various types of acute and chronic wounds—arterial, venous and mixed etiology nonhealing ulcerations not being properly treated.
Over the years, Ascher, a vascular surgeon with the Vascular Institute of New York, has established a wound care center, built expertise in the wound-healing space and developed hyperbaric oxygen therapy experience, seeking to fill a void in appropriate therapy for a sick population of patients with peripheral arterial disease (PAD).
More recently, Ascher and Marks, a vascular medicine and board-certified wound specialist in the same practice, have developed a “small but impressive” experience with Topical Wound Oxygen Therapy (TWO2) in treating not only diabetic foot ulcers (DFUs) but also venous leg ulcers (VLUs). Ascher says the home-based TWO2 therapy—which combines supplemental oxygen with non-contact cyclical compression and humidification through a single-use extremity chamber system—is emerging as an effective alternative with independently proven advantages involving cost, simplicity and patient comfort.
He points to a recent systematic review of randomized controlled trials (RCTs) he says confirmed RCT evidence showing that topical oxygen therapy increased the likelihood of DFU healing compared to controls.
“We have a small experience—but significant in our initial interpretation—of the outcome of this therapy,” Ascher explains. “We did 29 limbs with patients who absolutely would not heal with anything, and for months we followed these patients. When we tried this new methodology, most of them did well.”
Introducing two cases in which TWO2 was used to treat two patients with VLUs, Ascher expresses hope similar evidence will emerge showing effectiveness in the healing of ulceration with a venous etiology.
Case no. 1
Ascher and Marks describe the case of an 82-year-old male patient who first presented to their practice in 2021 with recurrent lower-leg circumferential ulceration, seo-san-
guinous discharge, severe itching, inflammation and venous stasis.
“He had some venous procedures in the past—he had had his veins closed, a stent placed in the iliac vein, several sessions of foam sclerotherapy of varicose veins—to decrease swelling in his leg and to promote healing,” explains Marks. “He had been going to different specialists, but was getting worse. We also found that in addition to his venous insufficiency, he had vasculitis, and we tried topical and oral steroids. After starting TWO2 at home, in five months— there were a couple of hiccups in the middle to do with coverage issues—we were able to heal his wound completely, and it stayed healed.”
Case no. 2
Turning to a second case—that of an 84-year-old female who presented with a large lower leg ulcer of venous etiology in the setting of recurrent cellulitis—Ascher and Marks outline a lingering wound that had worsened over weeks.
The patient, who was housebound, had comorbidities that included hypertension and hyperlipidemia, and had sought treatment through her primary care doctor. Her symptoms included progressive swelling, skin hyperkeratosis and peeling, itching, dermatitis changes and increased discharge.
“After she came here, we were wrapping her with compression dressings,” says Marks. “Then, after gaining coverage approval for TWO2 within a week, in just four weeks of oxygen therapy at home, the wound healed and has not recurred since.”
Home-based care





Ascher highlights TWO2’s simplicity. “This is a methodology that is much simpler, less complicated, less burdensome to the patient and actually very comfortable,” he says. “The patient is sitting in their home watching TV, listening to some music or reading a book, and they put a boot on over existing compression dressings.”
Among its advantages, he lists how it helps reduce edema with the non-contact cyclical compression, addresses infection resistance, and aids the production of good collagen in the wounds, resulting in wound



coverage with healthy tissue. “There is evidence it also can increase angiogenesis,” Ascher adds. The topical mode of oxygenation to the tissue is delivered with a partial pressure of approximately 800mmHg. Contrasting TWO2 with hyperbaric oxygen therapy, Ascher reflects that some had trouble tolerating the hyperbaric machine. “But most of the complaints were that they had to spend two hours inside the chamber, and some were claustrophobic. So TWO2 has been shown, so far mostly by our podiatry colleagues, in the literature that it is an alternative for these patients, and maybe for more patients if they want to have this kind of comfort with equally or almost equally good results.”
Marks notes how patients interact with the device, an extremity chamber, or boot, which extends up to and above the knee. “We have seen meaningful results in terms of patient comfort and willingness to stick with the treatment,” she says. “They see the results with each treatment as the wound gets a little bit better looking—less pain, less swelling, less discharge. So they persist because they see constant and gradual improvement.”
Combined with the evidence provided in the meta-analysis, Ascher says the “small but impressive experience” from his own practice encourages him to push on with TWO2 as a component feature of his wound-healing armamentarium. “I think


Case one is depicted at different stages of healing with TWO2 at home: pictures 1a–d were taken at one, two, three and five months, respectively, after therapy initiation. Case two, shown in pictures 2a–d, results are pictured at zero, one, two and four weeks, respectively, after the therapy began
“After gaining coverage approval for TWO2 within a week, in just four weeks of oxygen therapy at home, the wound healed and has not recurred since”
NATALIE MARKS
we will try to treat these ulcers by fixing the cause of the ulceration: If it is an infection, we have to clean the wound—maybe administer antibiotics. If it is of arterial origin, we have to improve the circulation. If venous, we have to fix the vein issue as best we can. Then we give a chance for the ulcer to heal. If it does not heal, then I think that is the time to provide the option of having topical oxygen therapy.”
Marks also highlights a cost-savings dimension. “TWO2 provides not only patient comfort, healing of the wound and decreased chances of complications, I think financially it makes a lot of sense,” she says. “Give a little bit of extra resource up front for this topical oxygen therapy but provide faster healing, instead of having all of these wasted resources.” Ascher points to what chronic wounds cost the U.S. in dollar terms: “Anywhere from $50 to $60 billion,” he concludes. “It’s a big problem and has been forgotten for years. Only now, fortunately, people are much more tuned into it.”
An inferior vena cava (IVC) filter retrieval device dubbed the next-generation in removal of the venous thromboembolismfighting tools could substantially cut procedural times and radiation exposure, according to data emerging out of in vivo testing at Yale University.
By Bryan Kay
THE ARTICULATING ATRAUMATIC
Grasper is the brainchild of Cassius Iyad Ochoa Chaar, MD, associate professor of vascular surgery at Yale in New Haven, Connecticut, and colleagues, with in vitro and in vivo testing data presented at the 2023 American Venous Forum in San Antonio, Texas, earlier this year.
The grasper got a fresh airing during the 2023 annual meeting of the New England Society for Vascular Surgery (NESVS) in Boston (Oct. 6–8), during which presenting author Valentyna Kostiuk, a Yale medical student and aspiring vascular surgeon, showed attendees how an advanced technique currently used in practice was deployed to retrieve a tilted filter in a patient, compared to a similarly positioned filter in a porcine model that was captured using the emerging grasper. In the case of the former, the procedural time was 55 minutes. During the example taken
from in vivo testing, the procedural time was 11 minutes.
The data show great promise for the novel retrieval device to improve the efficiency of IVC filter removal procedures, Kostiuk told NESVS 2023. So far, in vitro testing— which involved IVC filters being anchored to the inner wall of a flexible tube simulating the IVC and a high-contrast backlit camera view simulating 2D fluoroscopy projection during retrieval in the operating room—has demonstrated comparable retrieval times between the grasper and a standard-of-care snare device to remove a retrievable IVC filter in a centered configuration. However, the grasper device was also effective at removing permanent filters in both centered and tilted configurations that could not be retrieved using a standard snare device. Additionally, Ochoa Chaar and colleagues found that grasper removal of a centered permanent
filter required “significantly less time”—29 seconds vs. 79 seconds when compared to the snare removal of a retrievable filter in a centered configuration.
In the case of in vivo testing in a porcine model, six tilted infrarenal IVC filters were retrieved with the grasper via the right jugular approach. Comparison analysis between animal and patient procedures was performed for total procedure time, and both retrieval and fluoroscopy time.
IVC filter grasper in action

They showed that all IVC filters were retrieved using the grasper with no adverse events. The total procedure and fluoroscopy times were reduced by more than 50% in the pig group compared to the 12-patient match group—“significantly shorter,” the Yale researchers report. “Moreover, in the patient group, 16.7% of retrievals required advanced endovascular techniques and one IVC filter could not be retrieved [success rate= 91.7%], while all the IVC filters were successfully retrieved in the animal model without the use of additional tools.”
Kostiuk, speaking to Vascular Specialist after delivering her video presentation at NESVS 2023, highlighted the potential advance of the grasper over current standard of care in IVC filter removal. “Standard removal devices we have right now consist of a snare, so in order to remove the filter, you need to have the hook available to be captured by the snare loops,” she said.
The more advanced current technique— involving a wire loop and a snare—that was used in the case of a 27-year-old patient with a nine-degree tilted configuration who featured in her NESVS presentation further elucidates where practice currently stands, Kostiuk explained.
“You have one big wire loop already holding the filter, and one snare device with multiple loops, to try to capture the hook,” she said. “The problem is, if you have a filter with significant lateral tilt, the filter can abut the IVC wall, and it is really impossible to capture the hook using the snare only. Such complex configuration requires the use of a wire loop to reposition the IVC filter and make its hook more accessible to be captured by the snare device. Thus, the use of multiple devices—snares and wire loops—during advanced endovascular retrievals significantly prolongs the total procedure and fluoroscopy time, and is associated with complications.”
The advantage of the grasper, on the other hand, lies in a novel design consisting of two features: an articulating arm with lateral movements that allow the grasper device to be directed to the tilted IVC filter in any configuration; and a pair of grasping jaws that can grasp the filter hook or neck, Kostiuk explained.
The Yale researchers are currently carrying out market analysis and looking to perform clinical studies to evaluate device safety.
“Standard removal devices we have right now consist of a snare, so in order to remove the filter, you need to have the hook available”
VALENTYNA KOSTIUK
The majority of more than 300 vascular surgeons who responded to a recent survey indicated that they perceive the management of venous disease to be of less value than arterial disease. Investigators Misaki Kiguchi, MD, of MedStar Washington Hospital Center in Washington, D.C., et al share this finding in the Journal of Vascular Surgery: Venous and Lymphatic Disorders. By Jocelyn Hudson
BY WAY OF BACKGROUND TO THEIR STUDY, THE authors note that biases and gender disparities influence career pathways in medicine, with vascular surgery being no exception. They continue that, despite venous disease comprising an estimated 1–3% of total healthcare expenditures, its value among vascular surgeons is ill defined. It was the aim of the present study to address this, by investigating the factors that influence vascular surgeons’ current perceptions of superficial and deep venous disease treatments.
Kiguchi et al share that an anonymous survey was distributed electronically to practicing vascular surgeons in December 2021, with respondents stratified by gender and practice breakdown. They detail that a venous-heavy practice was defined as one with venous work comprising ≥25% of the total volume.
The investigators note that a total of 315 practicing vascular surgeons responded to their survey, with a majority of 81.5% from the U.S. The respondents had a mean age of 46.6±9.6 years, the authors detail, and almost
two-thirds (63.3%) identified as men. In terms of race and ethnicity, Kiguchi and colleagues state that 63% of respondents identified as White (non-Hispanic), 17.1% Asian or Asian Indian, 8.4% Hispanic, Latinx, or Spanish, and 1.6% Black. The remaining 9.9% selected “unknown” for this category.
Nearly half of respondents (47%) shared that their practice setting was academic, compared to 26.5% private practice, 23.3% hospital employed, and 3.2% “other.”
The investigators also note that the female respondents were “significantly” younger than their male counterparts (p<0.0001). In addition, they had fewer years in practice (p<0.0001) and were more likely to perceive a gender bias within a career encompassing venous disease compared with the male respondents (p=0.02).
Of the 315 participants in the survey, Kiguchi et al relay that 143 (45%) had a venous-heavy practice, with no differences found in age or gender between the venousheavy and venous-light practices. They continue that those with a venous-heavy practice had significantly more
years in practice statistically (p=0.02), had sought more venous training after graduation (p<0.0001), were more likely to be in private practice (p<0.0001), and were more likely to desire a practice change (p=0.001) compared with those with a venous-light practice.
Kiguchi and colleagues report that, overall, 74.3% of respondents indicated that venous work might be less “valued” than arterial work in the field of vascular surgery. On multivariable regression, they detail, the predictors for the perception of venous work being less valued were female gender (odds ratio 2.01, 95% confidence interval 1.14–4.03) and completion of a vascular surgery fellowship (odds ratio 2, 95% confidence interval 1.15–3.57).
In their conclusion, Kiguchi et al state that vascular surgeons perceived the management of venous disease to be of less value than that of arterial disease, particularly by women and fellowship-trained vascular surgeons. “The prevalence of venous disease, as measured by its proportion of the U.S. healthcare budget, cannot be overstated,” the authors state.
New survey shows transcarotid artery revascularization patients report faster recovery than their endarterectomy counterparts
For Scott Berman, MD, patient responses when confronted with an explanation of the extent of their asymptomatic carotid disease tend to be quite stark. They are either so petrified of having a stroke that they express clearly that they want to be operated on as a matter of urgency, the Tucson, Arizona-based vascular surgeon explains, or else they are steadfastly against surgery under any circumstances.
That’s why Berman sees patient-reported outcomes as a crucial component to factor into certain areas of his treatment decision-making. So, a recent patient satisfaction survey—which demonstrated those carotid disease patients who underwent transcarotid artery revascularization (TCAR) recovered more quickly than those who received carotid endarterectomy (CEA)—confirmed what already seemed intuitive.
“As soon as we started doing TCAR, we could see early on that these patients were recovering a lot more quickly than CEA patients,” says Berman, of Pima Heart & Vascular, a study author who contributed a tranche of patients to the survey. “The overall experience seemed to be better.”
time than their CEA counterparts. Furthermore, TCAR patients reported more ease in completing ordinary tasks 48 hours to one week post-procedure.
“Even in my subset, we were able to see that there was statistical significance in many areas, including pain control and returning to activities,” notes Stacey LeJeune, MD, of Surgical Associates and a community hospital vascular surgeon in Wausau, Wisconsin, another author involved in the patient satisfaction study.
LeJeune contributed 20 patients to the survey—10 for each procedure.
“As someone who does a lot of carotid surgery, both endarterectomy and TCAR are overall felt to be relatively safe. Patients tend to do well, and the majority go home the next day. But this study is very interesting because it gets the patients’ perspective on the little things that matter to them during their recovery. I was greatly surprised by the one-week post-procedure results regarding patients returning to driving their car.”
so we certainly should be able to measure whether or not lifestyle improved as a result of our treatment.”
Carotid disease sits somewhere in between the aortic aneurysm and claudication analogy, Berman explains. “We certainly want to improve or reduce the risk of stroke, but that risk of stroke impacts how people conduct their life.”
LeJeune, meanwhile, looks at patient satisfaction through the lens of appropriate patient selection.
“Through my experience performing TCAR on my own patients, and also teaching the procedure to many colleagues, it’s clear to see how much faster, smoother and less invasive this procedure is, particularly for those who have the right anatomy,” she explains.
“Patient selection is key to good outcomes, and I think that we are going to continue to see positive outcomes for these
Surveys Completed
CEA n = 143; TCAR n = 161
type of issues, I think patient-reported outcomes are very important.”
Berman points toward the future direction of the survey and how it had dovetailed with his experience investigating patient-reported outcomes in the claudication arena.
“With claudication, there are a lot of validated surveys of patient-reported outcomes,” he observes. “There are none for carotid disease.” Berman says the challenge now is to take “a robust questionnaire” and put it through the rigors of statistical validation.
“Vascular surgeons in general are very data driven, and quick to challenge data to make sure it’s been collected appropriately,” he adds. “That’s the next step but this is an important first step.”
Which is only going to become more important in light of recent events regarding Centers for Medicare & Medicaid Services
✔= TCAR is statistically significantly superior to CEA
Which procedure do patients prefer?
Less pain in the treatment area ✔
Less pain in moving neck or head ✔
Less difficulty doing ordinary tasks ✔
I don't feel anxious or sad ✔
It's easier to move ✔
I am less limited in the activities I do ✔ I have just as much energy ✔
Self-care tasks like bathing or dressing are not difficult ✔
No parts of my face are drooping ✔

The survey, conducted across nine medical centers, drew 304 responses (161 TCAR; 143 CEA) from 64 patients across a total of 13 questions on post-procedure pain, lifestyle limitations and activity ability. A hospital staff member at each of the nine participating hospitals conducted the surveys over the phone once per week for four weeks. Berman contributed 10 patients—five each for TCAR and CEA. “It really reinforced what we had observed—that TCAR patients seemed to have a less eventful recovery after revascularization than endarterectomy patients,” he says. “The overall experience has seemed to be better with TCAR, and the early results with this survey support that.”
Among the key findings, the study— which was completed Silk Road Medical— established that patients who were treated with TCAR experienced less pain over all time periods than those who underwent CEA. TCAR patients also reported significantly less facial numbness, swallowing issues, facial drooping and voice changes over
The relevant data from the survey show that 71.4% of TCAR patients reported having driven their car at the one-week post-procedure mark versus just 25% of CEA patients responding that they had done so.

Berman drills further into what the data mean for patients in their dayto-day lives in the days after treatment.
“Globally, patients seemed to recover quickly,” he reflects. “if you look at the actual numbers: less pain, less trouble moving, able to drive. Return of normal voice, lack of numbness, no facial droop. With all of these things, they really reinforced what we had already observed.”
Berman sees such patient-reported outcome measures as sitting at the vanguard of surgeons and interventionalists being better healthcare spending stewards.
“We have to make sure that the treatment we provide is actually helping the patient, and making them feel better,” he says.
“There are some things that are a little objective—if a patient has a giant aneurysm, we don’t operate on them to make them feel better; we operate on them to prevent death. Claudication is the classic example of when we try to improve a patient’s lifestyle,
Work or other normal activities are not difficult ✔
I don't have numbness in my face
My voice has returned to normal
I'm having no difficulty swallowing
*Data on file at Silk Road Medical
“As soon as we started doing TCAR, we could see early on that these patients were recovering a lot more quickly than CEA patients”
SCOTT BERMAN
patients—both standard risk and high risk— as we move forward. As a surgeon my priority is a good clinical outcome, but if we’ve proven that that is equivalent, it then gets down to time, cost and patient satisfaction. In a world where patient satisfaction is very important for a lot of reimbursement
(CMS) moves to incorporate patient preference: “I think it’s important to have this kind of data from patients to make informed decisions,” says Berman.
For LeJeune, bolstering patient enrollment is key to strengthening the survey data going forward. As the authors look at the survey as it currently stands, the results point to a truism, she adds.
“Having this good subset of patient responses is supporting what we know already, but as clinicians sometimes understimate—the part of a patient’s healing where we assume they are doing well. We see them back a few weeks later and don’t appreciate these nuances.
“This study has teased out some of that, showing how much faster TCAR patients feel better and recover in the short-term.”

By Christopher Audu, MD
I ENJOY LISTENING TO PODCASTS. IN addition to my usual rotation through Audible Bleeding and Behind the Knife, I’ve found insight in listening to Hidden Brain. A recent episode centered on the concept of gratitude, where it was highlighted how quick we are to dismiss the good things that happen to us and perseverate on the negative, inconvenient or unsavory parts of our day—both for ourselves and those around us.
In training, this is sometimes expressed in complaint form. We complain about how difficult residency is; how certain residents/ attendings/consulting specialties treat us. We find it cathartic to air out these grievances, all the while forgetting that once upon a time, this present state of being a trainee, was a dream—a position achieved through very hard work.
So, then, why should we be grateful?
There are a number of benefits, I think, that accrue from gratitude as a resident. Most important is the sense of being situationally aware and outward-focused. This allows for a growth mindset.
Such a framework sets the tone for becoming better—in skill and knowledge—at our job as surgical trainees. Challenges become opportunities; roadblocks become chances. For me, this means seeing my call status, not as a “black cloud,” but as an opportunity for learning. I’m not always successful at this, but it is an aspirational goal.
Another benefit that I identified from past chief residents and fellows is that the grateful ones were often superlative leaders. Because simply acknowledging the difficulties of providing care for patients at various levels— from the intern on the wards, to the OR staff setting up—is encouraging and uplifting. Fre-


Podcasts Audible
Bleeding, Hidden Brain and Behind the Knife
quently, this attitude would translate into a certain work ethic in the team and a cultural ethos that had patient care as the top priority. It’s nice to be noted for the hard work being put into quality patient care.
Another benefit that I identified from past chief residents and fellows is that the grateful ones were often superlative leaders
By Caitlin Hicks, MD and Evan Lipsitz, MD
THIS SUMMER THE CENTER FOR MEDICARE AND Medicaid Services (CMS) published its annual Physician Fee Schedule and Proposed Rule for calendar year 2024, and on Nov. 2 the Final Rule was published. The proposed rule included several proposals within the Quality Payment Program (QPP) that would impact vascular surgeons. The following article reviews highlights and the SVS responses.
One active area for CMS is the development of Merit-Based Incentive Payment System (MIPS) Value Pathways (MVPs). MVPs are viewed as the gateway for providers to transition into Alternative Payment Models (APMs). Their development for vascular conditions was covered in a recent Vascular Specialist article.
In the proposed rule for 2024, CMS proposed five new MVPs, which would bring the total to 12 optional MVPs for physician reporting. CMS also proposed to increase public comments during MVP development by soliciting feedback for 30 days following submission and making changes without input from the society or stakeholder that submitted the MVP if CMS deems those changes are appropriate. The agency also proposed to solicit recommendations for MVP updates annually. While the SVS appreciated CMS’ plan for public outreach, we argued that the persons and/or specialty societies who developed an MVP should be able to view and respond to public comments once received, as they will have a more nuanced view regarding how the proposed changes would impact the MVP and might create unintended consequences. The SVS also recommended that CMS provide a one-year lead time regarding the clinical areas under consideration for condition, specialty or procedure-based MVPs.
Subgroup reporting will become an option for MVP participants, which the SVS believes is important for broadening specialists’ reporting options and for the development of MVPs. The SVS emphasized the need for a transparent signon and a sufficient transition period for providers choosing to report via subgroups.
In the MIPS Quality Performance Category, CMS proposed maintaining the 30% weight of the final MIPS score but increasing the data completeness measure from 70% to 75% beginning with the 2024 performance year. The SVS noted that this increased reporting requirement was counter to CMS’ goals of reducing administrative burden within the MIPS program, particularly at a time when data and care integration are challenged and the costs of doing so are borne by physicians and their practices. Additionally, until more valid claims or easy-to-access electronic health measures are made available, it seems unfair to increase this requirement.
Under statute, the MIPS Cost Performance Category will continue to have a 30% weight. CMS proposed to establish a maximum cost improvement score of one point out of 100. The SVS recognized the flexibilities that CMS put in place to hold physicians harmless from undue MIPS penalties during the COVID-19 pandemic and asked that CMS continue to allow for hardship exemptions. The SVS also asked that CMS consider a maximum cost improvement score of at least five bonus points.
CMS proposed maintaining the 15% weight for the Improvement Activities (IAs) category and proposed four additions and five removals of IAs. The SVS encouraged development of methods for IA credit awards for performing

Finally, gratitude comes best through seemingly small acts that can become a habit. For instance, a congratulatory fist bump to a co-trainee, saying “well done” when something goes well, or even just taking the time to listen to the patient’s concerns, are all acts of being grateful for the opportunity to learn from the best clinical teachers—our patients. This Thanksgiving month, as many contemplate gratefulness, on the wards, in the operating room, or in the angiography suite, I hope we are imbued with a sense of added gratitude to be living what was once a dream for all of us.
CHRISTOPHER AUDU is the Vascular Specialist resident/fellow editor.


activities that overlap with similar Quality, Cost and Promoting Interoperability (PI) measures.
CMS proposed that PI category remain at 25% of the overall MIPS score. CMS suggested requiring a yes/no response for Public Health and Clinical Data Exchange measures, with the requirement to submit level of active engagement. CMS also proposed to make the Query of Prescription Drug Monitoring Program (PDMP) a required measure. The SVS opposed the PDMP requirement, as many physicians and health systems remain incapable of interconnecting with PDMP systems. The SVS also strongly urged CMS to reconsider its proposal to tie physicians’ PI category success to the “all or nothing” approach proposed for Public Health and Clinical Data Exchange objective requirements.
There are many other components of the rule that cannot be covered here. For a more detailed review and/or the final SVS comment letter, visit the CMS Final Rule fact sheet at vascular.org/24FeeSkedFactSheet
References
1. Vascular Specialist June 2023 Volume 19 Number 06: vascular.org/June23VascularSpecialist
2. Proposed rule: vascular.org/ProposedRulefor24
3. SVS comment letter: vascular. org/2024PaymentPolicyResponse
4. QPP Fact Sheet: vascular. org/2024QPPProposedRuleFactSheet
CAITLIN HICKS is vice chair and EVAN LIPSITZ the chair of the SVS Quality Performance Measures Committee.
is time we branch
Nicolas J. Mouawad, MD, chief of vascular surgery at McLaren Health System in Bay City, Michigan, urges vascular surgeons to “get out of their comfort zone” and become more involved in pulmonary embolism (PE) care.
With more than 1 million cases of deep vein thrombosis (DVT) and/or PE diagnosed each year in the U.S. alone,1 the management of patients with venous thromboembolic disease (VTE) is a critical public health concern. 2 So much so that in 2008, the U.S. Surgeon General declared a formal call to action against VTE. Despite an initial modest increase in awareness, it has been the recent COVID-19 pandemic that truly erupted a flurry of VTE therapies and catapulted this pathology from the sidelines to center-stage. Although DVT and PE are a continuum of the same disease state, untreated acute PE has a mortality of 30%.3 The severity of impact is primarily based on the embolic burden and the resultant effect on the right ventricle (RV), in addition to underlying comorbid conditions. The vicious cycle commences with acute increases in pulmonary arterial pressure secondary to the embolic obstruction which increases right ventricular afterload, increasing RV myocardial oxygen consumption and impairing RV contractility. This in turn affects the left side manifest by decreased cardiac output that can eventually lead to cardiogenic shock and death.
Pulmonary embolism response teams (PERTs) have emerged as an effort to battle the crisis of pulmonary emboli. Akin to “doctor-heart” for ST-elevation myocardial infarctions (STEMIs) and code stroke activations, the PERT is a multidisciplinary team focused on early triage, assessment, risk stratification and rapid coordination of an organized re-
By Mounir J. Haurani, MD
CHANGE IS A CONSTANT IN LIFE, and advocacy is no exception. The healthcare landscape is always evolving, and the SVS Advocacy Council is working to maintain a voice in the decision-making process. The council is committed to driving change that will improve the lives of vascular surgeons and their patients. By working to influence government policy, the Advocacy Council can make a
sponse to mobilize resources as necessary for PE care. These traditionally have been composed of interventional medical specialties with surgical counterparts as backup. The role of the vascular surgeon in the management of PEs varies widely and is based on their interest, their comfort (particularly navigating the heart), geography and the institutional politics.
The main issue in my opinion is that it feels outside of our “comfort zone” to be in the thorax. Whether surgically or by endovascular means, the thorax has historically been a black box—a void—for the vascular surgeon. From an interventional perspective, it is a domain of cardiothoracic surgery, interventional cardiology and interventional radiology, among some others. Furthermore, dedicated training paradigms have not been established for formal education in navigating the heart and the pulmonary vasculature for vascular surgeons. Most of us who are involved in PE care learned it from our interventional colleagues, training courses, or “on the job.” But why do we not take a more active role in this disease process? After all, we are vascular specialists very comfortable in diseases of the arteries, veins and lymphatics, whether medical, minimally invasive or maximally open.
And who gets an intervention? Unfortunately, risk stratification of patients with PE remains in development. The most common system separates them into low risk, intermediate risk, and high risk. An in-depth evaluation of cost, resource utilization, risk and safety profiles, as well as clinical efficacy, such as HI-PEITHO, PEERLESS II, STORM-PE, PE-TRACTS, among others, are currently underway to help answer many of these questions.
For those that qualify for intervention based on currently used criteria, vascular access is obtained in the standard fashion with ultrasound guidance. Caval venography is performed to ensure no anatomic abnormality, thrombosis or clot in transit. The right heart is then catheterized—I am a fan of the angled pigtail more so than a balloon-tipped catheter such as the Swan-Ganz as I feel its shape mirrors the anticipated trajectory. For each one of my PE interventions, a full right heart catheterization is performed. A comfort with waveform analysis traversing right atrium, right ventricle and into the main pulmonary artery is paramount. These are standard displays in a cardiac catheterization laboratory, although not usual in the operating suite, so depending on your site of care, it is important to equip your lab with the ability to transmit and display these data. Clearly this
real difference in the practice of vascular surgery and the care patients receive.
To create meaningful change, the SVS has identified several pieces of legislation that the Advocacy Council believes will result in impactful changes in federal policy that will drive positive outcomes for vascular surgeons and patients. Members identified several bills to help:
H.R. 3674, the “Providing Relief and Stability for Medicare Patients Act of 2023”
H.R. 2474, the “Strengthening Medicare for Patients and Providers Act”
H.R. 1202/S. 704, the “Resident Education Deferred Interest (REDI) Act”

will help monitor critical patient vitals and also assist in evaluating the effectiveness of some interventions. The procedure is then completed in the standard fashion.
Just as we have adopted many new disruptive technologies for the management of our patients, the pulmonary vasculature is an extension of the vascular tree we are trained to treat. I submit that it is time we branch out in the pulmonary arterial tree and become comfortable navigating the heart. We are trained for quick decision-making in high-stakes situations. It is time to dust off our old physiology textbooks and revisit right heart pressures, pulmonary vascular resistance and dynes/sec!
A multidisciplinary group is imperative for the management of patients with PE—and for a successful PERT—and vascular surgeons should get out of their comfort zone and play an active role in this patient population and pathology. We have a duty to our trainees to develop training paradigms to tackle all components of vascular disease and offer a familiarity and applicability of endovascular concepts while addressing barriers to implementation. Through continued awareness, education, and support, we can help cement vascular surgery as an integral component of comprehensive PE care and focus on improving PE patient outcomes.
References
1. Lutsey PL, Zakai NA. Epidemiology and prevention of venous thromboembolism. Nat Rev Cardiol. 2023 Apr;20(4):248–262. doi: 10.1038/s41569-022-00787-6. Epub 2022 Oct 18. PMID: 36258120; PMCID: PMC9579604.
2. US Department of Health and Human Services. Surgeon General’s call to action to prevent deep vein thrombosis and pulmonary embolism 2008. http://www.surgeongeneral.gov/ topics/deepvein.
3. Bˇelohlávek J, Dytrych V, Linhart A. Pulmonary embolism, part I: Epidemiology, risk factors and risk stratification, pathophysiology, clinical presentation, diagnosis and nonthrombotic pulmonary embolism. Exp Clin Cardiol. 2013 Spring;18(2):129–38. PMID: 23940438; PMCID: PMC3718593.
NICOLAS J. MOUAWAD is chief and medical director of vascular and endovascular surgery at McLaren Health System in Bay City, Michigan.
H.R. 2389/S. 1302, the “Resident Physician Shortage Reduction Act of 2023”
H.R. 731/S. 220, the “Workforce Mobility Act of 2023”
H.R. 4261, the “Amputation Reduction and Compassion (ARC) Act”
There are many ways members can get involved in driving this change, such as getting acquainted with grassroots advocacy. There are few advocacy tools more powerful than direct engagement between a constituent and a member of Congress. Engaging with your federal lawmakers helps to amplify SVS’ legislative priorities on Capitol Hill because elected officials want to hear from their
constituents about the issues that are important to them. Your representative and senators are not experts in vascular care and need to hear from you about policies that impact your practice and patients. The SVS offers several opportunities for members to get involved in grassroots advocacy. For instance, sign up as a REACH 535 key contact, where you become the bridge between SVS legislative priorities and your elected officials. You can also participate in Voter Voice activities. Meanwhile, members can also support the SVS Political Action Committee (PAC).
MOUNIR J. HAURANI is vice chair of the SVS Government Relations Committee.
The improved Pacific™ Plus PTA catheter† is your go-to for versatility, visibility, and pushability — now available with a 200 cm catheter for the option to treat via radial‡ access.
Discover the difference. Visit medtronic.com/PacificPlus
†Accurate with 4–7 mm balloon diameter sizes.
‡Complications associated with radial access may include but are not limited to: abrupt vessel closure, vessel spasm, perforation or rupture of the artery, dissection, pseudoaneurysm, hematoma and thrombosis.
Potential risks include: access site hematoma, infection and hemorrhage; arterial dissection, perforation and restenosis; hypotension, drug/allergic reactions and death.
UC202209467 EN ©2023 Medtronic. All rights reserved. Medtronic and the Medtronic logo are trademarks of Medtronic. 08/2023


By Marlén Gomez
“WE HAVE A CRITICAL PROBLEM IN America, which is the under-appreciation of peripheral arterial disease [PAD],” says Vikram Kashyap, MD, on his first time participating in the SVS Foundation’s Vascular Health Step Challenge, which concluded in September.
Kashyap, a member of the SVS Foundation board of directors, was one of more than 500 individuals globally who came together in September for a month-long initiative to promote vascular health and raise awareness and funds for the Foundation’s mission. The annual SVS Foundation challenge concluded with participants walking a collective 44,000 miles and raising $100,000.
It corresponded with National PAD Awareness Month, aiming to help encourage individuals to maintain an active and healthy lifestyle. Participants pledged to walk 60 miles throughout the month, symbolizing the 60,000 miles of blood vessels in the human body.
Kashyap notes that this symbolic journey aimed to underscore the importance of maintaining a healthy vascular system and emphasizes the critical role vascular surgeons play in keeping those systems in optimal condition. “I think this is the first step,”
PATIENTS WITH SLEW OF RESORUCES
November is National Diabetes Month. Because SVS members treat patients with the condition—and its complications— the Society has numerous educational resources available. “Diabetes and Vascular Disease” is one of nearly 10 patient education fliers produced by the SVS Foundation as part of its awareness and prevention mission. Available at vascular.org/PatientFliers, it outlines what the disease is, its effects, and where it can lead in terms of additional health problems, treatment, preventive care and more. Other patient education fliers may also be of interest to diabetes patients, such as those on carotid artery disease, cholesterol and physical activity, vascular health and smoking, all of which come into play for people with diabetes. Each flier is available in English and

he says. “No pun intended. I hope we can use this momentum and continue to grow in the years ahead.”
This year’s challenge introduced the “Payit-Forward” initiative, asking registrants to help ensure patient participation in the challenge. More than 70 Pay-it-Forward donations were received.
The Step Challenge also garnered sponsorship support, with a 77% increase compared to the previous year. Sponsors included organizations in the medical and healthcare industry, including presenting sponsor Advanced Oxygen Therapy, Inc.; W. L. Gore & Associates; Medtronic; 3M; the Way to My Heart organization; and the Society for Vascular Nursing.
As part of his efforts, Kashyap visited several walking destinations throughout September, including his new hometown of Grand Rapids, Michigan; Traverse City, Michigan; Los Angeles; Central Park in New York City; and Columbus, Ohio.
He emphasized that the challenge does not require an “all-or-nothing” mentality. The Foundation aims to use monies raised to provide necessary treatments and improve the quality of life for those in need, while also driving innovations in vascular care.
Spanish, and includes a link to the SVS “Find a Specialist” web page. A second set of fliers that can be customized with a member’s contact information, and then printed, is available at vascular.org/BrandingToolkit
Visit vascular.org/Diabetes for an overall look at diabetes and vascular disease. This page provides numerous resources for patients and families on how diabetes affects vascular health, including on keeping feet healthy, FAQs about diabetes, the benefits of walking and information from other medical societies, including the American Podiatric Medical Association. It also provides links to diabetes-related illnesses and related resources for physicians.
“The incidence of diabetes has grown exponentially in recent years, affecting more than 382 million people worldwide. It is one of the leading causes of chronic disease and limb loss, and many of our members frequently care for patients with diabetes,” said Benjamin Pearce, MD, chair of the Public and Professional Outreach Committee, which leads the SVS branding initiative, during a previous Diabetes Month. “Let’s educate our patients and prospective patients. Let’s let our referring physicians and other providers know we can be valuable additions to patients’ care teams.”—Beth Bales


“I think this is the first step—no pun intended. I hope we can use this momentum”
VIKRAM KASHYAP
A final leaderboard announcement on social media in October celebrated the following top performers: Concepcion Montaño-Ramirez, Timothy Nypaver, MD, Anil Hingorani, MD, James Walwark and Emily Milkes stepped up and claimed our top five walker positions. Aksim Rivera, MD, led the way as top fundraiser. Team FAB took home the title of top team.

VAM program chair Andres Schanzer, MD, makes a call for cutting-edge new science for next year’s meeting in Chicago
By Marlén Gomez
RESEARCHERS WHO WANT TO present new science at the 2024 Vascular Annual Meeting (VAM) are encouraged to prepare their abstracts for Nov. 15, when submissions open, to take advantage of the eight-week submission window.
“What we’re looking for is innovative new topics, new areas of research that haven’t yet been presented or published elsewhere, representing the very front edge of evolving knowledge and technology across the field of vascular surgery,” said Schanzer, SVS Program Committee Chair. Abstract submissions will close Jan. 10, 2024.
Schanzer emphasized the significance of the abstract submission process in setting the stage for VAM. Organizers post guidelines and policies in the submission instructions to serve as a blueprint for researchers and professionals preparing to submit their work.
The 25-member committee, under Schanzer’s leadership, evaluates all abstracts to present top research for the
meeting. Schanzer highlighted relatively recent changes to the program, including the division of scientific content in the mornings and concurrent educational sessions in the afternoons, in order to ensure diversity and quality.
Schanzer assigns several specialized teams of content experts to tackle the multitude of submissions. Each group focuses on all submissions in that given category to score them. The teams are responsible for updating the larger committee on their rankings and leading a discussion for the submissions in their content area.
He said the broad expertise of the committee helps promote the full spectrum of vascular surgery research, all of it appropriately reviewed blindly and considered for inclusion.

Despite the increasing number of submissions, there is no fixed target for abstract acceptance.
Learn more at vascular. org/VAM24Abstracts

The SVS Sub-Section on Outpatient and Office Vascular Care (SOOVC) has opened applications for its Presentation Award and Research Seed Grant, allowing practitioners to contribute to an ever-changing outpatient and office-based vascular care sector.
The Presentation Award recognizes the work of vascular surgeons who have completed research projects in an office-based lab (OBL) or an ambulatory surgery center (ASC) setting. The award is open to active SVS members and will allow three recipients to present their research findings at the SOOVC session during the 2024 Vascular Annual Meeting (VAM). Anil Hingorani, MD, chair of SOOVC, highlighted the significance of these awards, stating, “This is an opportunity to focus on procedures being done in the outpatient setting. These procedures are more cost-effective and efficient, and patients prefer them, making it a win-win situation.”
The three recipients of the 2023 Presentation Award were Michael A. Curi, MD, Keerthi Harish, MD, and Pavel Kibrik, MD. Their projects demonstrated the evolving landscape of vascular care.
Research Seed Grant recipients receive a $10,000 grant to fund analysis of research data for actionable insights, quality improvement and enhanced patient care. The 2023 Research Seed Grant recipients were Michael Curi, MD, Robert G. Molnar, MD, Heather Waldrop, MD, and Christina Cui, MD.
These abstracts can be related to quality and safety, patient experience, billing, or anything that influences the patient’s journey in an OBL or ASC. It doesn’t have to be solely focused on procedures,” said Hingorani on the broad scope of research areas within the initiatives.
He encouraged all practitioners, from early-career physicians to students, nurse practitioners, physician assistants and nurses, to apply. In addition to promoting diversity and inclusivity, Hingorani stressed the importance of involving community practitioners and those working in lower socioeconomic areas. The deadline to apply is Jan. 15, 2024. Recipients will be announced at VAM 2024, which is set for June 19-22.
Learn more at vascular.org/SOOVCPresentationAward and vascular.org/ SOOVCResearchGrant.—Marlén Gomez

Compiled by Beth Bales and Marlén Gomez
AS THE HOLIDAY SEASON COMES into focus, the SVS Foundation is preparing to celebrate science and honor our vascular heroes on Giving Tuesday, a time dedicated to philanthropy and giving back to the community.
Giving Tuesday is celebrated annually on the Tuesday following Thanksgiving—Nov. 28 this year. It stands as a beacon of hope and charity consistent with the true spirit of the holiday season, said Foundation Chair Michael C. Dalsing, MD. For the SVS, this year the celebration will expand past the day, leading to a month-long celebration following Giving Tuesday, in honor of the Foundation’s history.
The Foundation has achieved personal milestones in medical research, grants, awards and fundraising initiatives throughout the year, said Dalsing. They include its Voices of Vascular campaign to highlight the diverse voices within the SVS, the Foundation’s yearly Gala and the Vascular Health Step Challenge, a campaign to raise funds for and awareness of peripheral arterial disease (PAD).
Giving Tuesday is not just a day; it’s a chance to make a significant difference in the lives of those who rely on our assistance and expertise. We are dedicated to furthering our mission and fostering a community that cares,” said Dalsing.
The Foundation’s efforts have propelled research initiatives, enabled the distribution of crucial grants, recognized outstanding contributions through awards, and facilitated innovative projects that promise to improve the lives of countless individuals.
“Every donation, regardless of size, contributes to our broader mission,” said Dalsing. “Whether you’re a longtime supporter or new to our cause, your contribution is invaluable and greatly appreciated.”
Donors can visit vascular.org/Donate to learn how to join the celebration and support the Foundation’s work.

RESEARCHERS MAY NOW SUBMIT abstracts for the SVS Vascular Research Initiatives Conference (VRIC), to be held in conjunction with the American Heart Association’s annual Vascular Discovery meeting.
The conference, which emphasizes basic and translational vascular science, will take place all day May 15, 2024, at the Hilton Chicago, 720 S. Michigan Ave., in Chicago. VRIC registration will open in early 2024. Learn more and get the abstract submission link at vascular.org/VRIC24

NOW SET TO WELCOME ITS FIFTH COHORT, THE SVS LEADERSHIP Development Program (LDP) continues to help vascular surgeons across the U.S. and Canada to hone their leadership skills.
Manuel Garcia-Toca, MD, chair of both the Leadership Development Committee and LDP, said he believes the seven-month program can revolutionize the leadership skills of vascular surgeons, empowering them to make a remarkable impact both in their field and beyond. The program will begin April 11, 2024.
He encouraged participants to “build lifelong relationships, have some fun and invest in your future and the profession's future,” while earning continuing medical education (CME) credit.
The LDP, developed primarily for vascular surgeons with five to 10 years of experience, offers an immersive learning experience, emphasizing evidence-based leadership models. The curriculum draws from authors Jim Kouzes and Barry Posner’s The Leadership Challenge
A significant change in the program from previous years is its commitment to flexibility, recognizing the demanding schedules of vascular surgeons, said Garcia-Toca. On-demand didactic presentations, live online faculty-led discussions, mentoring and a 1.5-day in-person workshop have replaced the traditional webinars.
“This format change allows participants to engage with the material more effectively and in a manner that best suits their busy lives. The program’s goal is to empower participants to reach their full potential as leaders, not only in their medical practices but also in their communities and other areas of their lives,” said Garcia-Toca.
The core faculty for the cohort includes Manuel Garcia-Toca, MD, MS; Faisal Aziz, MD; Dawn M. Coleman, MD; Randall R. DeMartino, MD; Kristina Giles, MD; and SVS Executive Director Kenneth M. Slaw, PhD. Participants will have until Dec. 2, 2024, to claim credits or earn their certificates.
For more information on registration, visit vascular.org/LDP5.
SVS MEMBERS ARE REMINDED to act promptly before the year’s end to ensure uninterrupted access to their 2024 membership benefits.
Renewals are due on or before the close of the year on Dec. 31. SVS members can pay their dues now by logging on at vascular.org/invoices
ROBERT CAMBRIA, MD, recently took over as president of the New England Society for Vascular Surgery (NESVS). He was passed the presidential baton by Sean Roddy, MD, at the NESVS 2023 annual meeting held in Boston (Oct. 6–8).
Cambria is a vascular surgeon at Northern Light Health/Eastern Maine Medical Center in Bangor, Maine. Roddy is a professor of vascular surgery at Albany Med Health System in Albany, New York.
At the same meeting, Jessica Simons, MD, was elected as NESVS president-elect, and will become the first-ever female NESVS president in 2024. Simons is a professor of surgery at UMass Chan Medical School in Worcester, Massachusetts.

The SVS has announced an expansion of its coding-related information and help in response to increasing member demand. The new resources will assist vascular surgeons to navigate medical coding and billing complexities, in line with the Society’s ongoing commitment to provide valuable tools in vascular surgery.
On the SVS website, members can review a list of frequently asked questions and answers explicitly tailored to vascular surgery coding. The FAQs will evolve over the next year, with monthly updates.
Renewal guarantees the continuation of all the benefits associated with the Society, including reduced or no-cost access to all Journal of Vascular Surgery peer-review publications, exclusive entry to the SVS Education Portal, reduced rates for the Vascular Annual Meeting (VAM) and other educational courses and workshops, access to the SVS Branding Toolkit, and more.
For any questions, email membership@ vascularsociety.org
The SVS and long-term partner Karen Zupko and Associates Inc., a consulting and education firm, will launch a series of quarterly on-demand educational courses that will examine the intricacies of coding. The SVS will release the first of these courses later this month. The new courses are an addition to the annual SVS in-person Coding and Reimbursement Workshop held each fall.
Members can review the resources and submit questions at vascular.org/ CodingInquiries
FDA continued from page 1
The release of the data, also published in The Lancet, draws a line in the sand over the question of the safety of paclitaxel, which is used in peripheral interventions to prevent restenosis, after data from a summary-level meta-analysis put forward in 2018 pointed to an increased risk of death at two and five years following the use of coated devices in the femoropopliteal artery.
William A. Gray, MD, of Lankenau Heart Institute in Wynnewood, Pennsylvania, told TCT attendees that the analysis provides the most complete and current follow-up data of pivotal studies associated with FDA-approved paclitaxel-coated devices and represents the most complete patient-level analysis to date, or likely to be available in the future. Gray presented the findings on behalf of an independent physician steering committee, comprising Sahil Parikh, MD, from Columbia University Irving Medical Center in New York, Peter Schneider, MD, from the University of California San Francisco in San Francisco, Christopher Mullin, MS, and Tyson Rogers, MS, both from North American Science Associates (NAMSA) in Minneapolis, Minnesota, who were enlisted by the regulator and industry to dig into the final and updated patient-level datasets and address limitations of prior

William A. Gray delivers metaanalysis data
paclitaxel meta-analyses. Funding for the study came from BD, Boston Scientific, Cook, Medtronic, Philips, Surmodics and TriReme Medical, though the funders of the study had no role in its design, data analysis, data interpretation, or writing of the report, but did provide patient-level data for the analysis, which was independently conducted. The use of paclitaxel-coated devices for the treatment of PAD dropped by as much as 50% due to changes in practice patterns worldwide, Gray said, which was in response to the FDA’s 2019 statement that use of paclitaxel-coated balloons and paclitaxel-eluting stents was “potentially associated with increased mortality.” This change in position came after a meta-analysis from Konstantinos Katsanos, MD, from University of Patras in Patras, Greece, et al had first raised the specter of a mortality risk. FDA removed the red flag in July this year, stating that “additional data from the pivotal randomized controlled trials (RCTs) ha[ve] become available” in a let-
Results of the LIFE-BTK randomized controlled trial were presented at TCT 2023 (Oct. 23–26) in San Francisco. The data show that, in patients with chronic limb-threatening ischemia (CLTI) due to infrapopliteal artery disease, an everolimus-eluting resorbable scaffold was superior to angioplasty at one year with respect to the primary efficacy endpoint.
Ramon L. Varcoe, MBBS, from Prince of Wales Hospital and University of New South Wales in Randwick, Australia, shared this and other key findings at TCT on behalf of co-principal investigators Brian G. DeRubertis, MD, from New York Presbyterian–Weill Cornell Medical Center in New York, and Sahil A. Parikh, MD, from Columbia University Irving Medical Center, also in New York. The trial results were simultaneously published in the New England Journal of Medicine (NEJM).
Parikh shared his thoughts on the significance of the results with this newspaper: “This trial is the first of its kind to demonstrate superiority of a technology for below-the-knee [BTK] intervention along a relatively long time point for this patient population.” He described the effects of the technology as durable and noted they are “continuing to diverge” at the 12-month time point. “It is a highly clinically significant result.”
Peter Schneider, MD, from University of California San Francisco in San Francisco, provided some context, noting that LIFE-BTK follows multiple failed trials in the BTK segment.
“The key thing I think is that we do not have the tools we need to treat BTK disease. Yes, catheter-based treatments for limb salvage quite good, they performed well in both the BEST-CLI and BASIL-2 trials, but it is still somewhat limited in terms of the number of options we have,” he says. “We have had a number of failed trials below the knee—three failed [drug-coated balloon] trials and one failed drug-eluting stent trial—and the fact that we now have a successful trial is really, I would say, wind in the sails of this whole effort to try to improve the tools and the approaches that we have for BTK disease.”
In this multicenter, randomized controlled trial, 261 patients with CLTI and infrapopliteal artery disease were randomly assigned in a 2:1 ratio to receive an everolimus-eluting resorbable scaffold (Esprit BTK; Abbott Vascular) or angioplasty.—Jocelyn Hudson
ter to healthcare providers in which it set out the decision. To inform this decision, Gray and his co-investigators analyzed randomized trials that evaluated FDA-approved paclitaxel-coated devices versus uncoated devices for the treatment of femoropopliteal artery disease, looking primarily at the mortality risk on an intention-to-treat basis, with key secondary analyses including dose/mortality and covariate interactions.
Data from 10 trials were included, encompassing 2,666 participants over a median follow-up of 4.9 years. One-year follow-up was available in 98.7% of evaluable participants and five-year follow-up in 95%, which Gray noted represents an additional 3,355.5 patient years since a 2020 analysis by VIVA Physicians, in which investigators identified an absolute 4.6% increased mortality risk associated with paclitaxel-coated devices, albeit demonstrating a weaker mortality signal than was initially reported.
Results of the latest analysis presented by Gray and published in The Lancet demonstrated an overall hazard ratio (HR) for the intention to treat population of 1.14 (95% confidence interval [CI] 0.93–1.40). In post-hoc analyses assessing the proportional hazards assumption, there was no evidence the assumption was violated. HRs for individual studies ranged from 0.32 to 1.52, and there were no studies in which the CI did not include the null value of 1. The HR for the as-treated analysis was 1.13 (0.92–1.39). Furthermore, the as-treated crossover analyses also did not show a significant difference in deaths between the paclitaxel-coated and control groups, with an HR of 1.07 (0.87–1.31) when late crossovers were censored, and 1.04 (0.84–1.28) in the time-varying analysis of late crossovers.
THE OPEN-LABEL PHASE OF THE DEXTERITY-AFP trial investigating the Bullfrog microinfusion device—which involves the perivenous injection of the anti-inflammatory drug dexamethasone to improve patency and post-thrombotic syndrome (PTS) six months after thrombus removal in symptomatic deep vein thrombosis (DVT) patients—has shown positive results. That’s according to late-breaking data revealed during The VEINS 2023 meeting (Oct. 28–30) in Las Vegas by David J. Dexter, MD, co-principal investigator and a vascular surgeon at Sentara Healthcare in Norfolk, Virginia.
From a trend standpoint, Dexter told attendees, the 20-patient cohort, fully enrolled with six months of followup, showed a 5% rate of any PTS and currently no patients through 12 months with moderate-to-severe PTS.
The femoropopliteal segment study is moving into its second phase during which 60 patients will be enrolled 1:1 to receive the perivenous steroid or saline injections in a dual-blinded randomized controlled trial (RCT). It is considered the first known trial to investigate local drug delivery intended to reduce venous inflammation
associated with DVT.
Of the total 21 patients initially enrolled in the first phase, one withdrew after one-month follow-up. In terms of safety, there were no device (Mercator MedSystems) or drug-related serious adverse events observed. The primary efficacy endpoint—clinically relevant loss of primary patency—will be examined as combined with the RCT phase, the investigators revealed. Of the 21 patients followed at one month, 19 (90.5%) had fully compressible and two had partially compressible common femoral veins.
Other key secondary endpoint data for the 20 participants with in-window, six-month follow-up included reduction from baseline to six months in average Villalta score (7.3 to 1.6) and 10-point pain score (3.2 to 0.5).
“Femoropopliteal DVT has been neglected because we have really poor therapeutic outcomes yet they compromise more than half of DVT cases we see,” Dexter told The VEINS. “Inflammation appears to be linked to vein wall scarring and PTS. Dexamethasone appears to show really promising results both in pre-clinical studies as well as in our single-arm, early-phase data.”—Bryan Kay
By Jocelyn Hudson
Roger Malcolm Greenhalgh, MD, the surgeon internationally renowned for his contribution to vascular education, training and research, died peacefully on Oct. 6. He was 82. At the time of his death, he was emeritus professor of surgery at Imperial College in London, England, and head of its Vascular Surgery Research Group.
Professor Greenhalgh, born in Derbyshire, was not from a medical background and the first in his family to attend university. Within a term of arriving at Clare College, Cambridge, his medical tutor, Gordon Wright, predicted he would be a surgeon. At St. Thomas’ Hospital in London, he qualified as a doctor and was allowed to move up the surgical ladder with a rotation to learn research methods at the Hammersmith Hospital after his surgical training at St. Thomas’.
During this time, he discovered a love of vascular surgery. The pioneer vascular surgeon, Peter Martin, inspired Greenhalgh by saying that he would go on to solve problems that he could not. While in training, in 1974, he won the prestigious Moynihan Fellowship of the Association of Surgeons of Great Britain & Ireland. The £1,000 stipend enabled him to visit many worldwide vascular centers of excellence using the connections of his mentors, including Martin, Frank Cockett and Professor Gerry Taylor.
Greenhalgh joined the surgical consultant staff as senior lecturer at Charing Cross Hospital in 1976, less than 10 years after being a medical student. His career did not follow a conventional path by moving from the St. Thomas’ system to St. Barts and, finally, to Charing Cross. He went on to become professor of surgery, head of the university department and dean of the Charing Cross & Westminster Medical School for four years, between 1993 and 1997, during which time he oversaw a merger with Imperial College London.
Greenhalgh’s long and distinguished research career started with an interest in hyperlipidemia when he was a resident, during which he attempted to elucidate the role played by serum lipids and lipoproteins in arterial disease as lead author of a 1971 paper published in The Lancet. His research, with more than 300 original published papers, spanned all areas of vascular surgery: venous, carotid, peripheral and aortic. His most significant contributions came from his early adoption of the rigor of prospective randomized trials to address the gray
areas in vascular disease management. He led more than a dozen trials in the field of aneurysm management to promote levelone evidence in clinical practice, including the UK Small Aneurysms Trial (UKSAT) and the UK endovascular aneurysm repair (EVAR 1 and 2) trials. UKSAT was the first trial to show that there was no long-term survival benefit of early elective open repair of small abdominal aortic aneurysms. The 15-year follow-up of the EVAR 1 and 2 trials were published in The Lancet in 2016 showing EVAR has an early survival benefit but an inferior late survival compared with open repair, which needs to be addressed by lifelong surveillance of EVAR and reintervention if necessary. Greenhalgh was also the principal investigator of the mild-tomoderate intermittent claudication (MIMIC) trials, which finally proved the adjuvant benefit of angioplasty over supervised exercise and best medical therapy in patients with stable mild and moderate intermittent claudication.
Inspired by the impact of these many landmark trials, Andrew W. Bradbury, the Sampson Gamgee Professor of Vascular Surgery at University of Birmingham, England, and principal investigator of the randomized controlled BASIL trials, wrote to Greenhalgh: “Your achievements are greater than anyone alive or dead.”
Professor Bradbury recently presented first-time results from the BASIL-2 trial at the 2023 Charing Cross (CX) International Symposium during a session chaired by Greenhalgh.
Greenhalgh founded the CX series of international symposia and annual books in 1978 when he was 37 years of age. Pioneers such as Michael DeBakey, Denton Cooley, Jesse Thompson, John Mannick, John Bergan, Jimmy Yao, Ted Diethrich, Juan Parodi and Frank Veith have all graced the podium. Tom Fogarty spoke of his catheter and Andreas Grüntzig spoke of his angioplasty in the 1980s. Julio Palmaz gave news of EVAR at CX 1990. Professor Greenhalgh presided over the 45th symposium earlier this year. Many speakers feared his acerbic wit and the tolling of the bell if they strayed overtime.
In the days before his passing, Greenhalgh’s passion for the quality of the CX Symposium program burned brightly right to the very end as he worked on the CX 2024 version while in intensive care.
Greenhalgh played a pivotal role in the creation of the European Society for Vascular Surgery (ESVS) and the establishment of its journal. The
ESVS was launched at CX in 1987 and Greenhalgh wrote the constitution. He was founder and chairman of the editorial board for the European Journal of Vascular and Endovascular Surgery (EJVES) from 1987–2003. He became the first ESVS European honorary member because of his role in its foundation. His brilliant surgical skills were recognized by innumerable international surgical societies as well as the White House Medical Unit for the support he provided during the visit of President George H. W. Bush to London in 1991. More recently, Greenhalgh became a company director, founding BIBA Medical—an SVS publishing partner—with his son, Stephen, in 1994.
Greenhalgh received recognition for his lifelong contributions to vascular surgery from multiple prestigious groups, including most recently, an honorary Fellowship of the American College of Surgeons in October 2018 and the first Living Legend or International Lifetime Achievement Award
“Medical students and junior doctors have queued for the opportunity to work in his team”
JANET POWELL
from the SVS in June 2018 after being nominated by the ESVS. Enrico Ascher, of New York University in New York City, who presented the award and is a past president of the SVS, said of Greenhalgh at the time: “He leads by example. Not only by his contributions, or his political influence, or his knowledge, or trials, but actually as a person.”
His long-time research partner, Professor Janet Powell, of Imperial College in London, England, described him as a “brilliant” clinician with a “long and distinguished” research career, as well as highlighting his prowess as an educator and mentor, noting that “medical students and junior doctors have queued for the opportunity to work in his team.” She also hailed him as a “legendary figure” whose wit, humor and charm “have made him

GORE® TAG® Conformable Thoracic Stent Graft with ACTIVE CONTROL System
INDICATIONS FOR USE IN THE U.S.: The GORE® TAG® Conformable Thoracic Stent Graft is intended for endovascular repair of all lesions of the descending thoracic aorta, including: isolated lesions in patients who have appropriate anatomy, including: adequate iliac/femoral access; aortic inner diameter in the range of 16-42 mm; ≥ 20 mm non-aneurysmal aorta proximal and distal to the lesion. Type B dissections in patients who have appropriate anatomy, including: adequate iliac/femoral access; ≥ 20 mm landing zone proximal to the primary entry tear; proximal extent of the landing zone must not be dissected, diameter at proximal extent of proximal landing zone in the range of 16-42 mm.
CONTRAINDICATIONS: Patients with known sensitivities or allergies to the device materials; patients who have a condition that threatens to infect the graft. Refer to Instructions for Use at eifu.goremedical.com for a complete description of all applicable indications, warnings, precautions and contraindications for the markets where this product is available.
Products listed may not be available in all markets.
GORE, Together, improving life, ACTIVE CONTROL, TAG and designs are trademarks of W. L. Gore & Associates. 2023 W. L. Gore & Associates, Inc. 231209692-EN OCTOBER 2023

Your smarts. Your skills. Your relentless pursuit of what’s possible. They’re all part of what makes TEVAR triumphant. As we commemorate the 25th anniversary of the GORE® TAG® Device family,* we’re celebrating everyone who has helped to make this foundational procedure possible. From the first device to future development, we are TEVAR.
Come celebrate with us at VEITHsymposium® 2023. Scan to learn more.