Periódico Alma Mater ED624

Page 1

Nº 624 Medellín, septiembre de 2013 SISTEMA DE COMUNICACIONES • http://almamater.udea.edu.co • almamater@udea.edu.co • ISSN 1657-4303

Razones para un diálogo

Página 11

El país rural es protagonista

Página 14

Palabras en fuego cruzado

Página 15

Modelo para desarmar

Página 16

Paz con justicia imperfecta

Página 19

Otras piezas para

Fotoilustración Juan Andrés Álvarez Castaño

La Facultad de Ingeniería le apuesta a la formación virtual de calidad

Las tecnologías de la información y la comunicación –TIC– se han convertido en una herramienta básica para la educación en el mundo. La Universidad de Antioquia desde hace nueve años está integrada a esa tendencia con cuatro programas de ingeniería de manera virtual, modelo que le ha permitido llegar a estudiantes de todos los rincones de Antioquia con educación de calidad.

Guillermo León Ospina Gómez, coordinador del programa Ude@ cuenta que desde que la Universidad adquirió el compromiso de participar en el desarrollo de la universidad electrónica de Medellín, en 2002, empezó a gestar el macropoyecto Ude@, con la participación interdisciplinaria de profesionales de la Facultad de Ingeniería. El primer semestre de 2005 se ofreció Ingeniería de Telecomunicaciones. Desde entonces Ude@ ha crecido y en el momento cuenta con los pregrados de Ingeniería Industrial, Ingeniería de Sistemas, Ingeniería de Telecomunicaciones e Ingeniería Ambiental; y los programas de posgrado Especialización en Gestión Ambiental, Maestría en Gestión

Ambiental y Maestría en Enseñanza de las Matemáticas.

El decano de la Facultad de Ingeniería Carlos Alberto Palacio Tobón explica que “Ude@ es administrado por la Facultad de Ingeniería pero está al servicio de toda la Universidad. Nuestro interés es que los decanos y directores de la institución vean las ventajas de ofrecer programas de manera virtual, así como lo hace también la Facultad de Ciencias Exactas y Naturales con la Maestría en la Enseñanza de las Matemáticas. Ellos han sido totalmente autónomos en su proceso académico y nosotros les hemos brindado el soporte y apoyo tecnológico”.

En 2012 la Facultad de Ingeniería y la Dirección de Regionalización establecieron un convenio de cooperación mediante el cual los admitidos en las subregiones de Antioquia se apoyan logísticamente en las sedes y seccionales de la Universidad, y de esta manera se convierten en estudiantes bajo el modelo virtual.

“Por las dinámicas de los programas de Ingeniería, y teniendo en cuenta la calidad de los egresados, realizamos varios exámenes presenciales; éstos siempre se hacían en la sede Medellín los fines de semana, pero limitaban la posibilidad de ingreso para personas de municipios distantes. Ahora con este convenio el programa incluso

dejó de apoyarse en la sede Medellín y se ofrece únicamente en las subregiones”, explica el decano.

Para Andrés Felipe Roldán Higuita este convenio ha sido la mejor oportunidad para alcanzar su sueño de ser ingeniero. “He querido estudiar Ingeniería de Sistemas desde que salí del colegio. Aunque el temor de la palabra virtual me limitó mucho, me inscribí y comencé… ¡y la verdad sí es muy duro! Exigen mucho y demanda mucho tiempo, es uno quien decide cómo y cuándo estudia, pero se puede. Ahora entiendo que la calidad es la misma. Si los exámenes no me los hacen en la sede, yo no podría ir a Medellín cada ocho o quince días; eso me ayudó a sostenerme en el primer semestre y a estar convencido de que seguiré adelante con mi carrera. Lo que es claro es que acá estudia el que quiere”.

El modelo Los estudiantes del modelo virtual, tanto en pregrado como en posgrado, tienen acceso a ayudas en diferentes formatos: textos, guías de estudio, guías de autoevaluación, videos, multimedias interactivas y videoconferencias con tutores para grupos masivos o a través del sistema WizIQ de manera personalizada; todo sumado al respaldo de aulas virtuales en la plataforma Moodle. Quien espere estudiar en esta

modalidad debe contar con un computador con conexión a internet y banda ancha, dotado de cámara y micrófono, pero además debe tener claro que se presentan exámenes presenciales en varias materias. “Tenemos un modelo diferenciador, ya que le ofrecemos a los estudiantes diferentes herramientas de trabajo que no los obliga a estar conectados todo el tiempo, y que les permite trabajar en el formato que deseen sin restarle a la calidad. La exigencia es igual e incluso mayor que en el modelo presencial y eso se ve en la calidad de los egresados”, concluye el coordinador del programa Ude@. Ude@ cuenta a la fecha con estudiantes en doble titulación en diversas universidades europeas y con 40 egresados de pregrado. Uno de ellos, Juan David Garro, de Ingeniería de Telecomunicaciones, señala que “el egresado del programa Ude@ puede ser más competitivo porque a través de la educación virtual adquiere dos competencias muy valiosas, y que son determinantes para el desempeño: recursividad y proactividad”. La Universidad de Antioquia le seguirá apostando a este modelo mediante el cual se podrá ampliar el número de posibilidades para que los bachilleres de Antioquia puedan ingresar a la Alma Máter a realizar su sueño de ser profesionales.

2
Nº 624, UNIVERSIDAD DE ANTIOQUIA Medellín, septiembre de 2013 Foto cortesía Jaime Augusto Osorio Rivera

Nº 624, UNIVERSIDAD DE ANTIOQUIA Medellín, septiembre de 2013

CONFERENCISTAS. Abner Rodríguez, U. de Puerto Rico. Alfonso Torres. U. de Cornell, Estados Unidos. Arturo Puente González, Colegio de Posgraduados en Ciencias Agrícolas, México. Luiz Gustavo Ribeiro Pereira y Claudio Ulhoa Magnabosco, Empresa Brasilera de Investigación Agropecuaria, Brasil. Guillaume Lamarre, Mc Gill University, Canadá. Laurence Bernard, INRA, Francia. Tomas Preston, Reino Unido – CIPAV. Enrique Murgueitio Restrepo, Colombia – CIPAV. Claudia Patricia Uribe Galvis, Colombia. Juan Lucas Restrepo Ibiza, Colombia Corpoica. Ramón Correa Nieto, Colombia Comvezcol. Teresita del Carmen Beltrán Ospina, Colombia ICA. Wagner Cotroni Valenti, Universidade Estatal Paulista, Brasil.

INSCRIPCIONES: http://reune.udea.edu.co

INFORMES: Juan David Rodas González. Facultad de Ciencias Agrarias de la Universidad de Antioquia. Teléfono: (57)-4-2199140 -Fax: (57)-42199101. Página web: www.enicip.com • Correo electrónico: enicip2013@gmail.com

Primer Doctorado en Ciencias Veterinarias en el país

La Escuela de Medicina Veterinaria de la Facultad de Ciencias Agrarias inauguró en agosto su Maestría en Ciencias Veterinarias y el Doctorado en Ciencias Veterinarias, el primero de su naturaleza que se ofrece en Colombia. Ambos programas fueron aprobados por el Consejo Académico de la Universidad de Antioquia en 2012, luego de un prolongado proceso de evaluación en el sistema universitario de posgrado.

Según el profesor Juan Guillermo Maldonado Estrada, director de la Escuela de Medicina Veterinaria, “el posgrado sufrió toda una serie de recomendaciones, incluidas las de los pares académicos Claudia Jiménez, profesora de la Universidad Nacional sede Bogotá y Thomas Yuill, profesor emérito de la Universidad de Wisconsin en Estados Unidos, cuyos conceptos permitieron un mejoramiento importante de la calidad para la oferta del programa”.

La concepción del programa de posgrado en ciencias veterinarias data de 1997, cuando el entonces decano de la Facultad, Luis Javier Arroyave Morales, comisionó a un grupo de docentes encabezado por el actual vicerrector General, John Jairo Arboleda Céspedes, para que crearan el programa marco de posgrado de la Facultad.

“En esa época la Facultad ofrecía los programas de pregrado en Medicina Veterinaria y en Zootecnia y desde entonces se vislumbraba la posibilidad de crear programas que tuvieran posibilidades de homologación internacional”, recuerda Maldonado Estrada.

Por estos motivos, la comisión propuso la creación del área de posgrado en ciencias veterinarias, para la formación de maestría y doctorado en el campo de la medicina veterinaria y la creación del área de posgrado en ciencias animales para la formación de maestría y doctorado en el campo de la zootecnia. Posteriormente, con la transformación de la Facultad de Medicina Veterinaria y de Zootecnia en 2003, se abrió la posibilidad de oferta de posgrados del sector agrario, como es el caso del doctorado en Agroecología.

Inicialmente la Facultad de Ciencias Agrarias creó el programa de Posgrado en Ciencias Animales, en sus modalidades de maestría y doctorado, en 2003 y 2006 respectivamente, bajo la responsabilidad de la Escuela de Producción Agropecuaria. La oferta de ambas modalidades fue apoyada por todos los docentes de la Escuela de Medicina Veterinaria que tenía formación de posgrado, en tanto se daban las condiciones administrativas y de personal para ofrecer el programa de ciencias veterinarias, lo cual se logró finalmente tras la aprobación por el Consejo Académico en 2012 y el otorgamiento del registro calificado por el Ministerio de Educación Nacional en 2013 para ambas modalidades.

“La creación de nuestro programa de posgrado se sustenta en casi la totalidad de docentes de la Escuela de Medicina Veterinaria, quienes han apoyado la creación y puesta en marcha de otros programas de posgrado: la Especialización Clínica en Pequeñas Especies Animales, modalidad presencial; la Especialización en Medicina de Pequeñas Especies Animales, modalidad semipresencial apoyada en internet. Ambos programas fueron los primeros de su naturaleza ofrecidos en el país. La Maestría y el Doctorado en Ciencias Animales; la Especialización, la Maestría y el Doctorado en Ciencias Básicas Biomédicas; y han apoyado la oferta del programa de Maestría y Doctorado en Biología”, explica Maldonado Estrada.

Esta experiencia, acumulada por su participación en asignaturas, por su gestión como tutores, miembros de comité tutorial o como pares evaluadores, al igual que el resultado del proceso de investigación propio de las maestrías y los doctorados, ha permitido adquirir la experiencia requerida para la oferta del Programa de Posgrado en Ciencias Veterinarias.

LA UNIVERSIDAD DE ANTIOQUIA HACE CONSTAR: • Que se encuentra en trámite el reconocimiento de prestaciones sociales de la señora ADRIANA MARÍA DE LA HOZ PATIÑO fallecida el 4 de julio de 2013. Se ha presentado a reclamar la señora MARÍA GRACIELA PATIÑO LOPERA en calidad de madre. • Que se encuentra en trámite el reconocimiento del traspaso de la pensión jubilación que percibía el señor CARLOS ARTURO ATEHORTÚA YEPES , quien falleció el 8 de septiembre de 2004. Se ha presentado a reclamar la señora ROSA MARÍA GALEANO PAMPLONA en calidad de compañera permanente. • Que se encuentra en trámite el reconocimiento del traspaso de la pensión jubilación que percibía el señor JAIME DAVID CORREA CANO , quien falleció el 15 de diciembre de 2011. Se ha presentado a reclamar el señor JORGE ELÍAS CORREA CANO en calidad de hermano inválido. Otras personas que se consideren con derecho, present arse dentro de los 30 días siguientes a esta publicación.

3

“Queremos posicionarnos como destino país para invertir en ciencia, dado que contamos con los recursos humanos y técnicos suficientes para apoyar cualquier tipo de iniciativa de investigación o de innovación”, dijo la directora de Colciencias Paula Marcela Arias Pulgarín.

Por JAVIER LONDOÑO

La llamada locomotora de la innovación es la que más se demora en coger impulso; una vez lo haya tomado irá más rápido que las demás. Esa es la convicción de la directora de Colciencias Paula Marcela Arias Pulgarín, quien hace apenas unos meses está al frente del Departamento Administrativo de Ciencia, Tecnología e Innovación y enfrenta no pocos retos, uno de los cuales será sacarlo del marasmo en el que, de acuerdo con la crítica de la comunidad científica nacional, se encuentra.

“La perspectiva es muy emocionante de ahora en adelante”, manifiesta, mientras piensa en el presupuesto y los proyectos de investigación que se adelantarán con los recursos de regalías.

Arias Pulgarín aseguró que entre 2012 y 2013 la entidad a su cargo ha tenido el presupuesto más alto de la historia. “El presidente Santos confirmó su apoyo dándonos 182 mil millones de pesos adicionales para becas de doctorado este año”, dijo, y añadió que el presupuesto de Colciencias asciende a los 420 mil millones de pesos.

La directora de Colciencias, quien participó en agosto en la feria “Internacionalízate” que organizaron las oficinas de egresados y de internacionalización de las universidades de Antioquia y Nacional sede Medellín, el Pascual Bravo y el Politécnico Jaime Isaza Cadavid, informó que con la adición se están apoyando 300 becas de doctorado internacional de las 450 candidaturas que se presentaron.

Internacionalízate 2013 permitió a los egresados y estudiantes universitarios conocer oportunidades de estudio, becas, pasantías y demás apoyos que ofrecen entidades o programas gubernamentales y de migración.

Colciencias, enfocada en la innovación

La funcionaria dijo que este segundo semestre Colciencias se enfocará en tres convocatorias de innovación, una abierta, otra dirigida a las empresas que quieran lanzar al mercado productos, servicios o modelos de negocios y una más de desarrollo tecnológico entre grupos de investigación universitarios y empresas para sacar productos innovadores desde los laboratorios hasta el mercado.

Por tanto, reiteró Arias Pulgarín, “recursos sí hay, proyectos sí hay; este semestre va a estar enfocado a la innovación y el año entrante vamos a tener las convocatorias habituales de apoyo a la investigación básica, con cofinanciación a las universidades”.

Internacionalización

En Internacionalízate, la directora de Colciencias se refirió a los objetivos de la política de internacionalización de la entidad, las estrategias, las transformaciones internas en el relacionamiento con los pares y los retos.

En el centro de la política de internacionalización de la ciencia, dijo, “lo que queremos es desarrollar los canales de interacción académica de la comunidad científica y tecnológica del país, para que pueda ampliar las fronteras del conocimiento, para facilitar el intercambio con los pares internacionales y posicionar el país como referente regional”.

Tal objetivo, agregó, tiene que ayudar a conseguir un nuevo modelo productivo, apoyado en

la investigación, que le de, por la innovación, valor agregado a los productos y procesos.

El enfoque a partir de ahora —dijo— está concentrado en maximizar las capacidades del país y en desarrollar una agenda internacional que permita potenciar la agenda nacional.

En adelante, aseveró, “vamos a tratar de ser más concretos y eficientes en el uso de los recursos de internacionalización”, y afirmó que el turismo científico se tiene que acabar.

Colciencias, observó la directora, pretende alcanzar el propósito de internacionalización a través de cuatro estrategias. La primera: la visibilidad, buscando hacer conocer la capacidad instalada de investigación con que cuenta el país en las universidades y laboratorios, el recurso humano, la calidad de la investigación, las ventajas comparativas en geoestrategia y recursos naturales.

La segunda estrategia, añadió, es el posicionamiento, para atraer inversión técnica y financiera para investigación en el país, con instancias multilaterales, lo que implica incluso, precisó, salirse de algunas redes temáticas y asociaciones.

Otra estrategia es fortalecer la interacción con redes y pares internacionales para desarrollar investigación, en donde la movilidad de investigadores será solo un medio entre otros. “No más turismo científico”, reiteró, y precisó que los apoyos eco nó -

micos serán para quien tenga una ponencia, o una invitación para participar en un proyecto o una temática para un taller.

“El que no conozca podrá ir con plata de su bolsillo y en las vacaciones que le da la universidad, pero no con los recursos del país; ese va a ser un cambio fuerte y el que se sienta ofendido seguramente es porque no está en la categoría de los que sí quieren ir a trabajar”, afirmó.

La funcionaria insistió en que los apoyos no serán para misiones exploratorias, sino para salidas con agendas previas, acuerdos firmados, organización y planes estructurados.

Por último, señaló que la cuarta estrategia es la gestión y el desarrollo de proyectos conjuntos, con otros países, mediante alianzas con instituciones homólogas y acuerdos bilaterales de cooperación.

En todo caso, el optimismo de la directora de Colciencias contrasta con los reiterados cuestionamientos que analistas y científicos como el rector de la Universidad Nacional Moisés Wasserman vienen planteando, no solo frente al inveterado presupuesto mínimo que se destina a impulsar la ciencia, la tecnología y la innovación, apenas el 0,17% del PIB, sino frente al aparente estancamiento en el crecimiento de los grupos de investigación, la formación de doctores, la disminución en la tasa de aprobación de proyectos, etc. Amanecerá y…

4
Nº 624, UNIVERSIDAD DE ANTIOQUIA Medellín, septiembre de 2013 Fotos Luis Javier Londoño Balbín

Subregiones se abren al mundo

Hay dos asuntos que marcaron la vida profesional de Yesenia Álvarez Pérez: haber estudiado en la Seccional Suroeste de la Universidad de Antioquia y su viaje a Brasil para hacer la práctica laboral. Ambas experiencias le demostraron que es posible aplicar los conocimientos aprendidos para contribuir al desarrollo de su región, y que su carrera, Administración de Empresas, tiene una faceta social que no se puede desconocer y que genera impacto.

“Siempre me han interesado los desafíos y es por esta razón que vi en la práctica profesional la posibilidad de hacer algo nuevo, que me proporcionara experiencias y conocimientos únicos”, comenta Yesenia, quien con estas motivaciones en mente buscó su práctica en Brasil a través de AIESEC, una organización global que promueve el liderazgo de los jóvenes y los intercambios internacionales.

El proceso de aplicación no fue sencillo, estuvo más de seis meses en entrevistas, trámites legales y consecución de recursos. Además, Yesenia no hablaba portugués antes de irse, pero sí dominaba el inglés, lo cual le permitió comunicarse al inicio de la práctica, mientras aprendía el nuevo idioma para interactuar con mayor facilidad.

Su práctica en Brasil se dividió en dos: los primeros tres meses trabajó con la Universidade do Extremo Sul Catarinense, elaborando un plan de negocios para una empresa junior, y el último periodo lo pasó en la ciudad de Uberlândia, en el estado de Minas Geráis, trabajando para la ONG Instituto Politriz, en el centro de formación para niños y adolescentes en situación de vulnerabilidad social.

Aunque Yesenia no niega que al principio fue difícil dejar su “zona de confort” para aventurarse en un nuevo desafío, asegura que fue la experiencia más gratificante de toda su vida. “Me ayudó a co-

BECAS

nocerme y a descubrir mi propio potencial, a saber que la tarea del administrador no se reduce a generar rentabilidad o a hacer que un negocio sea exitoso, sino que va más allá, porque en sus hombros pesa la responsabilidad de cambiar realidades y mejorar vidas”.

Y en cierta medida, ella siente que así lo hizo durante su estadía en Brasil. “El haber convivido durante casi tres meses con la ONG que ayudé a administrar y haber podido cambiar mentalidades y proponer mejoras desde lo humano y lo técnico, me dieron una satisfacción enorme que me motivó a seguir, aunque en ocasiones fue difícil. Siento que ayudé a los niños en situación

de vulnerabilidad a reescribir sus historias, pero creo al final fueron ellos los que también me ayudaron a reescribir la mía. Es algo que haría una y otra vez sin pensarlo”.

Ahora que ya se graduó, Yesenia quiere seguir estudiando y trabajando en proyectos que impacten de manera positiva a la sociedad. Además, no dudaría un segundo en recomendar una movilidad internacional, ya que según ella, es una excelente posibilidad para que los estudiantes desarrollen al máximo sus capacidades y descubran su verdadero potencial.

Internacionalización en las seccionales

Para que el de Yesenia no sea un caso aislado, la Dirección de Relaciones Internacionales de la Universidad de Antioquia formuló dentro de su plan de acción la creación de una estrategia piloto de internacionalización para las seccionales de Oriente y Urabá, acorde con las realidades y necesidades de la comunidad académica de estas subregiones.

“Este será el punto de partida para implementar en el futuro rutas más apropiadas en la construcción

de actividades de internacionalización para las demás seccionales y sedes de la Universidad”, afirma Carolina Laverde, directora de Relaciones Internacionales.

Como parte de esta estrategia piloto ya se han realizado jornadas de presentación de los servicios internacionales de la Universidad de Antioquia en ambas seccionales y se han hecho encuestas y entrevistas a estudiantes, personal administrativo y coordinadores académicos, con el objetivo de recolectar información que dé luces sobre el mejor camino a seguir en un proceso de internacionalización.

Paralelo a esta etapa de diagnóstico, se han comenzado a implementar algunas acciones como llevar las charlas de movilidad académica internacional a Oriente y Urabá, brindar asesorías virtuales y dar un mayor puntaje a los estudiantes de las seccionales en los criterios para otorgar apoyos económicos para intercambios al extranjero.

En este segundo semestre del año, se espera tener un documento de soporte de las estrategias de internacionalización en el que se identifiquen los potenciales de las seccionales y las rutas de acción a seguir, para lograr que muchos más estudiantes puedan vivir experiencias como la de Yesenia y abran su panorama académico al mundo.

Beca Fulbright para investigador visitante colombiano. Cinco académicos colombianos tienen la oportunidad de vincularse a una universidad o instituto de investigación estadounidense durante un semestre en el año académico 2014-2015 para realizar investigación avanzada. Plazo máximo de aplicación: 1 de noviembre de 2013. Más información: www.fulbright.edu.co

Becas de investigación de la Fundación Alexander von Humboldt. Cada año otorga más de 700 becas y premios para investigadores posdoctorales: www.humboldt-foundation.de

Becas para estudiar en Reino Unido. En el link del British Council se encuentran más de 3.000 ofertas de becas y otros enlaces de interés como costos de vida y planeación del presupuesto: www.educationuk. org/Applications/Scholarships-for-UK-study

5
Nº 624, UNIVERSIDAD DE ANTIOQUIA Medellín, septiembre de 2013 Foto cortesía Yesenia Álvarez Pérez Foto cortesía Yesenia Álvarez Pérez

La UdeA, a la vanguardia en tecnología de punta en microscopía

En el marco de la Convocatoria de proyectos de infraestructura física y tecnológica 2013 del Comité para el Desarrollo de la Investigación, CODI, y con el apoyo de la Dirección de Desarrollo Institucional, la Dirección de Posgrado y de varios grupos de investigación, la Universidad contará dentro de poco con un microscopio electrónico de transmisión, TEM, así como con la instrumentación auxiliar que se requiere para la preparación de todo tipo muestras, y las adecuaciones locativas necesarias para la óptima instalación de toda esta infraestructura científica de última tecnología en la Sede de Investigación Universitaria, SIU.

La instrumentación permitirá a investigadores de todas las áreas del conocimiento interesados en el análisis microscópico y estructural de la materia a resolución nanométrica contar de manera inmediata con esta herramienta científica, sin tener que depender de pares extranjeros.

De esta manera, la Alma Máter busca brindar los medios necesarios para que sus investigadores estén a la vanguardia en instrumentación de clase mundial, lo cual finalmente se verá reflejado en el incremento de indicadores como número de publicaciones científicas, ingresos de recursos externos para investigación, tanto de fuentes nacionales como internacionales, avance de la nanotecnología y mayores capacidades para el desarrollo de estudios de posgrado, particularmente a nivel de doctorado en las diferentes áreas.

Los primeros desarrollos de esta tecnología se tienen en la década de 1920, cuando se descubrió que era posible generar y manipular un haz de electrones en el vacío aplicando la física de los campos electromagnéticos. Los diseños y capacidades de análisis de esta instrumentación han experimentado avances impresionantes, pero conservan la esencia de tener como ele -

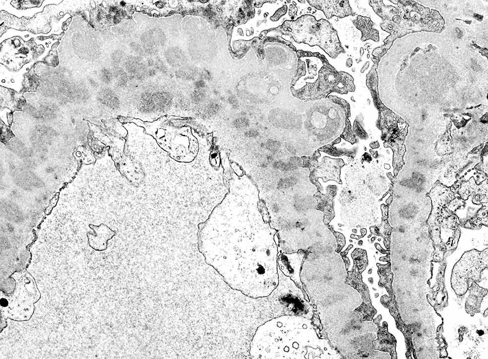
Pared capilar glomerular alterada por la presencia de depósitos electro densos en un caso de enfermedad glomerular por depósitos de inmunoglobulinas. Aumento 6.000X. Cortesía Dr. Luis F. Arias. Departamento de Patología.

mentos constitutivos principales una fuente para la generación y aceleración de los electrones, un sistema de lentes electromagnéticos que permiten refinar y ajustar el haz a unas características deseadas y, finalmente, un conjunto de detectores que permiten la recolección de la información necesaria para generar, entre otros, la imagen del objeto.

El desarrollo de la microscopía electrónica permite hoy en día aumentar en varios cientos de veces las capacidades de observación

llegando al nivel de millones de aumentos, como es el caso de los microscopios electrónicos de transmisión más avanzados. Junto a los avances en la instrumentación del microscopio paralelamente se tiene desarrollo en las técnicas complementarias de análisis de la muestra; por ejemplo, el uso de microsondas de análisis de rayos X, con lo cual, además de poder analizar las morfologías y estructuras de la materia a alta resolución, igualmente es posible estudiar su composición química.

Imagen de alta resolución mostrando nanopartículas metálicas encapsuladas dentro de nanotubos de carbono obtenidos por deposición químicacatalítica en fase de vapor (CCVD). Cortesía: Dr. Jaime A. Gallego M., Grupo QUIREMA.

Los nuevos equipos ofrecen grandes ventajas como la facilidad de operación de la instrumentación, la inmediatez en la obtención de resultados, así como la facilidad de interpretación de los mismos. En cuanto a la preparación de la muestra en microscopia electrónica de transmisión se requiere instrumentación especializada además de conocimiento y destreza del investigador. Acorde con las capacidades financieras del proyecto, se tiene contemplado adquirir un instrumento multi-propósito, es decir que su configuración permita el análisis de diferentes tipos de muestras (ciencias de materiales y ciencias biológicas), que tenga la tecnología más reciente en cuanto a la fuente de electrones, esto es una fuente de emisión de campo (FEG por su sigla en inglés) y que permita llegar a voltajes de aceleración de los electrones de hasta 200 kV. Así mismo, contará entre lo más importante, con sistema de análisis químico elemental por rayos X y podrá operar en el modo barrido-transmisión. Esta infraestructura de punta entrará a complementar las capacidades en microscopia electrónica de barrido, útil en el análisis de la superficie de todo tipo de materiales, con que ya cuenta la Alma Máter desde años atrás; este último equipo presta servicios en la Sede de Investigación Universitaria (correo: sem.udea@ siu.udea.edu.co , tel.: 2196610).

6
Nº 624, UNIVERSIDAD DE ANTIOQUIA Medellín, septiembre de 2013 Microscopio Electrónico de Barrido de la Universidad de Antioquia. (Modelo JEOL JSM6490 LV). Cortesía: D. Perea, Laboratorio Microscopio Electrónico de Barrido, UdeA.

Con las más recientes patentes concedidas a la Universidad de Antioquia, la institución suma 24, nueve de las cuales han sido tramitadas en oficinas internacionales, y las 15 restantes, reconocidas por la Superintendencia de Industria y Comercio.

Se trata de tres descubrimientos resultado de los procesos de investigación de los grupos Quirema, Coloides y Catalizadores y Adsorbentes, adscritos a la Facultad de Ciencias Exactas y Naturales.

La primera de las patentes, concedidas en julio, es Modificación de zeolitas por incorporación de fósforo, fue desarrollada por el grupo Catalizadores y Adsorbentes y Ecopetrol, para producir combustible diesel más limpio y libre de azufre. La segunda es Eliminación y transformación de residuos producidos por el biodiesel a elementos de alto valor energético, innovación de Quirema para contribuir a mitigar el impacto ambiental que genera la producción de biodiesel. Por último, el grupo Coloides patentó Proceso de elaboración de nanopartículas a partir de sales orgánicas e inorgánicas, funcionalizadas con proteínas, que tendrá utilidad en la producción de vacunas y en la elaboración de cartílago articular artificial para daño de tejido. Según la Superintendencia de Industria y Comercio, un invento debe cumplir tres condiciones para ser protegido como patente. Primero, debe ser novedoso, es decir que no exista a nivel mundial. Segundo, debe poseer un nivel inventivo, que no sea un desarrollo obvio para algún experto en la materia de la que trata el invento; y, por último, que lo inventado tenga una aplicación comercial o industrial.

Fanor Mondragón, vicerrector de Investigación e integrante de Quirema, explica que “aunque una patente es importante porque es un adelanto único, ese no es el fin último que busca la Universidad como sí lo es la investigación, pues se quiere que nuestros profesores y alumnos investiguen. Las patentes vienen después como un valor agregado”. En la Universidad las facultades que más innovaciones presentan son Ingeniería y Ciencias Exactas y Naturales. El 17% de las patentes concedidas son del sector de la biotecnología. De igual manera, se han logrado cuatro patentes en las ciencias médicas que representan otro 17%. El tercer lugar lo tiene la química, luego la mecánica, la bioquímica y la química aplicada.

Así mismo, de las once patentes que están en fila para ser aprobadas, la mayoría son de biotecnología, seguidas por el área de materiales y de medicina. De manera que “son estas áreas la punta de lanza de la capacidad de investigación tecnológica de nuestra universidad”, afirma el coordinador de la Unidad de Transferencia de Tecnología, Hernán Darío López, y agrega que el número de patentes pone a la institución a la vanguardia en propiedad intelectual.

Beneficios

L a concesión de las patentes faculta a los dueños de los inventos a hacer explotación comercial del producto por 20 años cuando es un invento, o por 10 años cuando es una mejora sustancial a algo ya patentado. Además, la concesión de la pa tente protege de plagios en 170 países del mundo. Estos avances también se traducen en beneficios económicos para

Tres nuevas patentes obtiene la Universidad

En lo que va corrido del año han sido siete las patentes otorgadas a la Alma Máter; once más están en fila para ser aprobadas.

Echavarría líder del grupo Catalizadores y Adsorbentes y Juan Camilo Arroyave, estudiante de doctorado e integrante del grupo.

la Universidad al re cibir regalías provenientes de la comercialización de las innovaciones.

De acuerdo con la reglamentación de la Universidad, el 32% de las regalías netas que entra a la institución se convierte en estímulos directos a los inventores; el 10% va al fortalecimiento de los respectivos grupos de investigación; un 20% es destinado a las unidades académicas, facultades e institutos a los cuales están inscritos los grupos, y el 48% está destinado a fortalecer el fondo de innovación de donde se generan los recursos para estos procesos.

Desde 2006, año en que se concedió la primera patente, la Universidad ha logrado comercializar el 20% de las patentes a partir de licenciamientos o explotación comercial en las industrias con las que se ha trabajado en conjunto. A partir de esto, se han generado ingresos por más de 700 millones de pesos, que se convierten en una palanca financiera para continuar con la gestación de nuevos conocimientos y de su protección por medio de las patentes.

Herley Casanova, líder del grupo Coloides, explica que la última patente que tiene su grupo pronto va a ser explotada comercial -

mente gracias a las alianzas de la Universidad con la empresa privada. “La patente —dice— le pertenece a Sumicol –compañía que se dedica a la provisión de suministros minerales y materiales de construcción– porque es una de las tecnologías que se le licenció, por eso ratifica la alianza y va a seguir siendo desarrollada en los laboratorios de esta empresa. Para el otro año aspiramos a ver resultados de esa planta piloto que producirá nanopartículas para sacar productos comerciales”.

Internacional

Aunque en los últimos años Colombia ha avanzado en investigación y protección de propiedad intelectual, las cifras revelan que el país aún está lejos de ser potencia en patentes, incluso en el plano latinoamericano.

Según cifras de la Oficina de Marcas y Patentes de Estados Unidos, han sido concedidas 264 patentes a inventores colombianos. El país que lidera es Japón, que hasta 2012 suma un total de 904.801 patentes, mientras que el segundo, Alemania, suma 313.675. Por su parte, Corea del Sur, que tiene un número de habitante comparable con Colombia, tiene 112.247 patentes. A nivel regional, lideran Brasil, México y Argentina con 3.087, 2.377 y 1.279, respectivamente.

Adriana Echavarría, coordinadora de Catalizadores y Adsorbentes, considera que “somos líderes en la región y una de las primeras universidades del país, pero falta muchísimo si nos comparamos con Brasil que tiene un gran presupuesto para investigación, mucho mayor al nuestro. Faltaría muchísimo para posicionarnos inclusive a nivel latinoamericano, aunque recientemente ha crecido el interés de hacer investigación aplicada y de lograr la comercialización para resolver problemas del entorno”.

7
Nº 624, UNIVERSIDAD DE ANTIOQUIA Medellín, septiembre de 2013 Adriana Estructura de una zeolita.
Foto cortesía grupo Catalizadores y Adsorbentes
Foto cortesía grupo Catalizadores y Adsorbentes

Dirigido a los jóvenes entre los 13 y los 21 años de edad, el 28 de agosto, en el orquideorama del Jardín Botánico de Medellín, fue presentado este proyecto educativo que reunió distintas universidades y empresas del país. Contando con el conocimiento, la experiencia y la creatividad del centro de producción Universidad de Antioquia Televisión y con la orientación del equipo que coordino, conformado por los comunicadores Fredy Suárez, Adriana Bernal y Paula Arredondo, fue posible elaborar esta multimedia en la que convergen radio, televisón, prensa y digitalización para mostrar el proceso de investigación y los resultados de 47 proyectos en seis ciudades colombianas.

Todas las entidades participantes saben que entre los colombianos predomina una concepción mágica y milagrosa acerca del conocimiento y de las ciencias. Prima la creencia sobre las demostraciones, el debate ideológico sobre la investigación y la prueba, o la confianza esperanzada sobre proyectos con acción metódica en busca de resultados. Y aunque ningún ser humano puede prescindir de las creencias, las ideologías o la esperanza, cultivarlas sin ningún tipo de cuestionamientos y demostraciones nos mantiene en el campo de la emoción y el sentimiento, impidiéndonos hacer uso de la valoración razonada, de la búsqueda de soluciones que la investigación y la ciencia proporcionan con base en pruebas. No es una sola razón la que explica este modo de ver el conocimiento. Entre sus causas están el modo mítico de divulgación que se hace en los medios masivos de comunicación y los enfoques dogmáticos que todavía no salen de las aulas, aferrados a una docencia transmisionista que fomenta la militancia ciega en un saber, en vez de recurrir al cultivo de la curiosidad, la creatividad, la duda y la acción demostrativa, o a desentrañar las claves multiculturales, históricas, sociales y científicas que dan fundamento a las verdades promulgadas. En esta combinación de maravilla y dogma reside la sobrevivencia del temor a la investigación, la falta de voluntad para la discipli -

¿Qué es y para qué?

na, el desencanto por la práctica científica y el descrédito de quienes las ejercen con entusiasmo desde su juventud o de quienes enseñan a practicarlas.

Colombia necesita con urgencia nuevas campañas educativas que promuevan un cambio de enfoque entre los distintos sectores sociales. Sin aspirar a que la investigación y la ciencia se vuelvan la condición de vida para todo ciudadano, sí es posible promover su cambio de actitud. A este cambio quiere contribuir Propiedad pública.

La ciencia es un modo de pensar, entender el mundo y transformarlo

Resolver un problema práctico que traiga como resultado un nuevo servicio, un bien o un artefacto tecnológico es un comienzo indispensable. Pero la ciencia va más allá: estudia el conjunto de procesos y deriva de sus observaciones experimentales nuevos conceptos, categorías, teorías, mo de los, enfoques y métodos que son el nutriente propio del conocimiento científico. Son sus bases constitutivas y les permiten a los humanos inaugurar modos

de ver la vida, de intervenirla y transformarla, no quedarse anclados en sus circunstancias sino proyectar nuevas dimensiones. Por ese motivo, la ciencia no consiste en acumular respuestas y productos sino en formular nuevas preguntas; cambia la comprensión del mundo y de las personas; nos hace ver la experiencia humana a través de los tiempos y, de paso, nos dota de nuevos utensilios para transformar lo que hacemos en el diario vivir.

El conocimiento implica inaugurar comprensión y debe ser de todos

Por su esencia innovadora, que interroga constantemente y busca respuestas comprobables con la experimentación, hay quienes consideran a la ciencia como la única fuente válida de conocimientos, tal como lo hizo el Círculo de Viena. Otros, en cambio, sobre todo desde los años setenta y ochenta del siglo xx , como la Escuela de Edimburgo, piensan que los científicos están determinados por las condiciones de conocimiento en las que se formaron. Sin embargo, ya en la segunda década del siglo xxi , na -

die duda de que el conocimiento se renueva con mayor velocidad e impacto en la humanidad a partir de las ciencias y que no lo hace nadie en particular, nadie lo inventa ni lo descubre por su propia cuenta, sino que es obra colectiva. Y así como no es individual, tampoco son excluyentes su propiedad, su uso ni su modo de avanzar. Como el aire, es patrimonio público, no estatal, y debe circular sin restricciones porque se nutre de libertad. No permanece inmodificable porque la revisión crítica le permite transformarse. Es alimento de toda persona y sociedad, sin discriminación alguna, y se le deben las distintas formas de emancipación. Por esas razones, el conocimiento debe llegar a ser Propiedad pública.

* Historiador, coordinador del grupo de investigación Comunicación, Periodismo y Sociedad, Facultad de Comunicaciones, Universidad de Antioquia. El presente trabajo cuenta con apartes elaborados por el Comunicador Jorge Andrés Echeverry Mejía en su contribución al proyecto.

8
Nº 624, UNIVERSIDAD DE ANTIOQUIA Medellín, septiembre de 2013

Universidades y Parque E, aliados en el emprendimiento

El Parque E, las universidades de Antioquia, Eafit y Pontificia Bolivariana, de manera mancomunada con la Secretaría de Desarrollo Económico de la Alcaldía de Medellín, apuestan por un nuevo modelo para crear empresas con alto potencial de crecimiento y diferenciación que dinamice la economía de la ciudad y de la región.

Así quedó explicitado en el convenio que suscribieron en julio, a partir del cual se puso en marcha la ejecución de estrategias para el fortalecimiento de las capacidades de emprendimiento.

En esta prueba piloto, que cuenta con distintos actores del ecosistema, la Secretaría de Desarrollo Económico de la Alcaldía de Medellín, a través del Parque del Emprendimiento, invertirá 662 millones de pesos, mientras que las universidades aportarán 185.271.000, para promover iniciativas empresariales que surjan desde la comunidad académica.

El secretario de Desarrollo Económico de Medellín, Tomás Cipriano Mejía Sierra, destaca el papel que juegan los universitarios en este modelo. “La idea es que nuestros jóvenes desde las instituciones de educación superior recuperen esa mentalidad emprendedora y sobre eso estamos construyendo este nuevo modelo”, afirma.

El Parque E lleva siete años de operación continua durante los

cuales ha impulsado la sensibilización, capacitación, estructuración y puesta en marcha de los proyectos empresariales, es decir, todos los procesos clave del emprendimiento.

En esta última fase Parque E ha contribuido al surgimiento de 273 compañías lideradas por personas con educación superior, con elementos de diferenciación en innovación.

Para la directora, Patricia Fuel, fomentar la cultura emprendedora en los claustros es una alternativa de cómo proyectarse profesionalmente en empresas basadas en conocimiento, independiente de que los universitarios se conviertan en empresarios. Para ella, es necesario trabajar en el fomento del emprendimiento, especialmente desde la academia, porque “para transformar una cultura se requieren años, generaciones, varias décadas, y nosotros todavía estamos como ciudad en la primera década de unas tres o cuatro que se requieren para transformar territorio”, dice.

Los asesores del Parque E ya comenzaron el acompañamiento a las iniciativas empresariales de las tres universidades, las cuales recibirán una inversión económica para la puesta en marcha por parte de las respectivas unidades de emprendimiento institucional.

Fortalecimiento institucional

Como parte de las acciones específicas que se desarrollan en el nuevo modelo voceros de las 19 iniciativas seleccionadas por las tres instituciones académicas expusieron su proyecto empresarial en Eafit, en agosto,

en donde un grupo de evaluadores hizo recomendaciones a los emprendedores.

“Cada uno de estos equipos puede contar con tres universidades para apoyarlos y creo que eso no se da en otras ciudades; el hecho de que conozcan emprendimientos de otras universidades y puedan apoyarse entre ellos no se tiene en los ecosistemas de otras ciudades”, observa Jorge Hernán Mesa Cano, coordinador del Programa de Empresarismo de Eafit.

La directora del Parque del Emprendimiento, al destacar la buena preparación y compromiso que demostraron los emprendedores ante los evaluadores en Eafit, subraya que este paso es un primer vistazo de lo que están liderando, lo cual será más interesante en unos meses, cuando hayan pasado por las etapas de entrenamiento, la validación de mercados, la asesoría y acom -

pañamiento, tanto por parte de sus unidades de emprendimiento como del Parque E.

El nuevo modelo de emprendimiento de Medellín considera acuerdos explícitos entre los líderes de cada proceso de la cadena de valor, para focalizar y especializar los servicios que de allí se derivan.

Y mientras las universidades de Antioquia, Eafit y Pontificia Bolivariana lideran los procesos de sensibilización, formación, identificación y estructuración de las iniciativas empresariales (preincubación), y definen los rubros conforme a la necesidad específica de cada iniciativa para pruebas técnicas de prototipo, registro de marca, diseño de imagen, validaciones, etc., con el fin de acercarlas a la comercialización, el Parque E se concentra en el proceso de puesta en marcha (incubación) y Créame en el de aceleración.

9 Nº 624, UNIVERSIDAD DE ANTIOQUIA Medellín, septiembre de 2013
Foto Archivo Periódico ALMA MATER Foto Archivo Periódico ALMA MATER

El Plan Departamental de Aguas, una llave a la calidad de vida

Di ecisiete profesionales de ingeniería sanitaria de la Alma Máter son los encargados del ajuste y diseño de las obras del Programa Agua para la Prosperidad - Plan Departamental de Agua, PAPPDA, estrategia nacional liderada en Antioquia por la Gerencia de Servicios Públicos de la Secretaría de Infraestructura y ejecutada por la U de A como gerencia asesora.

Después de dos años de un complejo proceso de revisión de los planes maestros de acueducto y alcantarillado de 60 municipios y de la identificación de las problemáticas más urgentes en infraestructura, los ingenieros trabajaron en el diseño de proyectos en las cabeceras urbanas. Las metas iban orientadas a la optimización de redes de acueducto y alcantarillado, que en muchas localidades tenían 60 años de operación, por lo que habían sobrepasado su vida útil. Se hicieron, además, diseños de plantas de potabilización y de plantas de aguas residuales, así como de colectores y sistemas de alcantarillado no convencionales. Hoy, 16 de esos proyectos son una realidad en los municipios de Buriticá, Caicedo, Puerto Berrío, Puerto Triunfo, Sabanalarga, Salgar,

La inversión en los proyectos iniciales del programa asciende a 33.000 millones de pesos

Anzá, Amagá, Angelópolis, Betulia, Briceño, Cañasgordas, Nariño, San Francisco y Sonsón.

“En esta etapa esperamos terminar los diseños en 65 municipios, labor que hemos cumplido con egresados formados por la Universidad, que regresan a este proyecto con toda la experticia, después de lecciones aprendidas en campo”, dice el director del equipo de trabajo de la gerencia asesora del PAP-PDA, John Fernando Escobar. Agrega el docente de la Facultad de Ingeniería que la Universidad hará acopio de las buenas prácticas para entregarlo sistematizado a la Gobernación de Antioquia para futuros proyectos.

A los 16 municipios que ya están en obra le siguen los proyectos de San Juan de Urabá, Santa Rosa de Osos, El Santuario, Angelópolis (segunda etapa), Ituango y Pueblorrico, en la actualidad en proceso contractual por parte de la Gobernación.

Luego se acometerán los proyectos en Argelia, Campamento, La Ceja, Andes, Cáceres, Hispania y Jericó, que ya fueron viabilizados por el Ministerio de Vivienda, que fija los lineamientos del PAP-PDA. Para la construcción de los planes maestros de acueducto y alcantarillado en 21 localidades se han destinado cerca de $33.000

millones, aportados por la gobernación, la Nación y los municipios.

Con este programa, la gobernación de Antioquia se pone al día en el acompañamiento a los municipios en la prestación de los servicios públicos domiciliarios, algunos de los cuales no han contado nunca con agua potable. Es el caso, por ejemplo, de San Juan de Urabá, que, después de 27 años de vida municipal, comenzará en octubre la ejecución de las obras del Plan Departamental de Aguas. Al resaltar el impacto que tendrá el proyecto en San Juan de Urabá Mario Alejandro Cadavid, ingeniero sanitario del componente técnico de la gerencia asesora, observa que con el diseño del sistema de conducción, la planta de potabilización y el sistema de distribución se mejoran todos los indicadores en la prestación del servicio de acueducto. “Se mejora la calidad del agua en el área urbana, se cubren algunos sectores rurales que tomaban el agua de pozos, se disminuyen las pérdidas de agua en el sistema, se contabiliza el consumo con la instalación de micromedidores para toda la zona urbana, se asegura la continuidad las 24 horas en el servicio y se cumple con la Ley 142 de 1994, al proveer de agua potable a la población”, dice.

Construcción del sistema de alcantarillado en sector del parque del municipio de Caicedo.

Por su parte, Astrid Barrera, Gerente de Servicios Públicos de la Secretaría de Infraestructura de Antioquia, resalta el trabajo de la U de A como gerencia asesora, y la importancia para la gobernación por el acompañamiento de la academia, “ingenieros que tienen un campo de acción grande, como lo es el Departamento, para aplicar sus conocimientos, y a su vez, estos profesionales tienen el privilegio de aportar en la solución de problemáticas tan urgentes como las que presenta este sector”.

Inclusión y empleo

Las obras, además de generar mejores condiciones de salud para la comunidad, están aportando al desarrollo social y económico de cada municipio, por la generación de empleos directos e indirectos y la contratación de mano de obra calificada y no calificada.

Así, los 16 proyectos en ejecución de obras han vinculado a 300 personas de las comunidades beneficiadas. Para John Gil, habitante de La Habana, y obrero del PAP-PDA en Salgar, “este proyecto trae grandes beneficios, porque aquí la gente se inundaba, y para uno también es un orgullo hacer parte de la solución”.

Otros componentes

Al componente técnico de la gerencia asesora se suma el trabajo de otros profesionales de las áreas financiera, jurídica, ambiental, informática y social de la U de A, que acompañan y asesoran a los funcionarios de los municipios, para darle celeridad a los trámites y para asegurar la viabilidad técnica por parte del Ministerio de Vivienda.

Según el momento por el que atraviesa el programa, se realizan reuniones de socialización de proyecto, de inicio de obra, o de seguimiento. En estas actividades, que apoya el área social de la gerencia asesora, se han convocado a 2.000 habitantes de las cabeceras municipales, que han compartido, a su vez, inquietudes y sugerencias sobre el impacto y alcances del PAP-PDA en su sector.

Los proyectos que están en revisión por parte del Ministerio de Vivienda son: San Roque, Maceo, Heliconia y San José de la Montaña.

Este año, la gerencia asesora alcanzará la ejecución de obras en 36 municipios del PAP-PDA. La ejecución juiciosa del Plan Departamental de Agua se ha convertido en un compromiso prioritario para Antioquia, donde el agua empieza a transformar vidas.

10
Nº 624, UNIVERSIDAD DE ANTIOQUIA Medellín, septiembre de 2013
Foto cortesía del Proyecto

Un momento crucial

El temario acordado contiene los puntos clave que dieron origen al conflicto o, que a lo largo del tiempo, lo han exacerbado: el problema agrario y la redistribución de tierras; la exclusión política y las garantías para que nuevas fuerzas surgidas de la insurgencia puedan competir en democracia; los cultivos de uso ilícito en manos de los campesinos y el narcotráfico; la verdad y la reparación de las víctimas; el monopolio de las armas en manos del Estado y el desarme y desmovilización de los irregulares.

Después de diez años de una dura confrontación entre el Estado y las guerrillas en Colombia inesperadamente se inició un proceso de paz. Los contactos se habían iniciado a un mes de la posesión del presidente Santos. Después vino la diplomacia secreta que empezó al finalizar el año 2011. Durante cerca de ocho meses una delegación del gobierno y otra de las Farc estuvieron en La Habana adelantando conversaciones discretas hasta establecer una hoja de ruta y una agenda temática para iniciar negociaciones formales con el propósito explícito de poner fin al conflicto armado. Tanto el gobierno como las Farc han invitado también al ELN para que se sume a este nuevo intento de reconciliación nacional.

La etapa inicial fue llamada fase exploratoria y terminó en agosto de 2012. El 15 de octubre del pasado año se inició en Oslo, Noruega, la segunda fase que tiene como objetivo suscribir un acuerdo integral que abra paso al cese definitivo de las hostilidades y a la tercera fase del proceso que se ocupará de poner en práctica cada uno de los puntos acordados en la mesa.

Las partes coincidieron en no cometer los errores del pasado y por ello dicidieron negociar por fuera del país lejos de la presión de los medios y la opinión pública, no enredarse en empezar por un cese de hostilidades, buscar un acuerdo definitivo en corto tiempo y comprometerse a que no se pararían de la mesa de conversaciones hasta pactar el fin de la guerra.

El tema se ha tomado los medios de comunicación y las conversaciones en Colombia. Las preguntas han sido varias: ¿Qué llevó a las partes a la negociación? ¿Qué posibilidades hay de que esta vez sí se llegue a la paz? ¿Qué obstáculos enfrenta este proceso?

La salida militar fracasó

La guerrilla intentó a finales de los años noventa y principios de este siglo el triunfo militar. Las Farc construyeron un ejército de más de veinte mil efectivos y se propusieron llegar a la capital del país por la cordillera Oriental. Instalaron 11 frentes guerrilleros alrededor de Bogotá y uno en la propia capital. La reacción del Estado fue modernizar la fuerza pública, duplicar sus efectivos, que hoy alcanzan las cifra de quinientos

mil, y hacer saltar la inversión en defensa a cinco puntos del PIB. Mediante ese esfuerzo descomunal se logró expulsar a las guerrillas de los grandes centros de población y producción, se redujeron sus efectivos y se golpeó su mando central. Así terminó el intento de toma del poder por la vía de las armas y despareció la ilusión de victoria que en algún momento tuvieron las organizaciones irregulares. Hasta 2008 la política de seguridad en cabeza del presidente Uribe fue especialmente efectiva. Todo hacía pensar que las fuerzas insurgentes serían plenamente derrotadas y sólo quedarían grupos dispersos que se rendirían ante el Estado. El gobierno entonces proclamó el «el fin del fin» de las guerrillas. No ocurrió así. Estas fuerzas, ante su inminente derrota, cambiaron de estrategia. Volvieron a organizarse en pequeños grupos, pusieron el énfasis en la disputa de la población y no en la defensa de territorios, acudieron a las armas artesanales y al minado de territorios, se refugiaron en lo profundo de las montañas y en las fronteras. Empezaron nuevamente a tomar la iniciativa y, en los últimos tres años, en un accionar menudo y disperso, le han producido más de 7.500 bajas, entre muertos y heridos, a la fuerza pública y están retornando a viejos territorios.

Estamos en lo que podríamos llamar “un empate mutuamente doloroso”: las guerrillas no tienen la más mínima posibilidad de tomarse el poder, pero el Estado no está en condiciones a corto o mediano plazo de acabar con ellas por la vía militar. El presidente Juan Manuel Santos y la dirigencia guerrillera son plenamente conscientes de esta situación y por eso han decidido sentarse a la mesa de negociaciones.

Una agenda realista, pero profunda

El temario acordado contiene los puntos claves que dieron origen al conflicto o, que a lo largo del tiempo, lo han exacerbado: el problema agrario y la redistribución de tierras; la exclusión política y las garantías para que nuevas fuerzas surgidas de la insurgencia puedan competir en democracia; los cultivos de uso ilícito en manos de los campesinos y el narcotráfico; la verdad y la reparación de las víctimas; el monopolio de las armas en manos del Estado y el desarme y desmovilización de los irregulares.

Esta agenda deja claro que no está en discusión el poder y las instituciones colombianas. De ahí su realismo. Pero es evidente que se hace eco de las causas de la guerra y apunta a realizar reformas que hagan posible una paz duradera y estable. Las conversaciones secretas, según se sabe, fueron un duro forcejeo que en tiempos continuos duró 66 días en los que las Farc lograron que se incluyeran cambios en la vida nacional que legitiman su historia, y el gobierno del presidente Santos logró que las Farc admitieran sin ambages que se trata de una negociación en la que al final harán dejación de sus armas. No será nada fácil. Cincuenta años de conflicto armado no se terminan de la noche a la mañana. La historia dice que Alfonso López Pumarejo y Carlos Lleras Restrepo, presidentes y grandes reformadores del siglo veinte, fracasaron en su intento de transformar el campo colombiano y distribuir la propiedad agraria. Dice también que hasta ahora no ha sido posible modernizar la política y darle plenas garantías a la izquierda para que compita con posibilidades de triunfo por el gobierno nacional. Y señala igualmente que aún no se ha encontrado un camino para superar el narcotráfico y ofrecerle alternativas a cientos de miles de familias campesinas que han tenido que refugiarse en los cultivos ilegales para sobrevivir.

Pero la marcha de las negociaciones en La Habana ha generado una gran esperanza de que ahora sí vamos a lograr las reformas para alcanzar la paz. El primer punto —el de los cambios en el agro— cerró con un acuerdo para alentar las zonas de reserva campesina y proteger y fomentar la pequeña y mediana producción campesina como eje de un nuevo modelo agrario. Se avanza también en la discusión del punto clave de las garantías de participación política para la reintegración de las Farc a la vida democrática, y la delegación del gobierno en la mesa con apoyo de la coalición de unidad nacional tiene en sus manos ofertas atractivas para la guerrila: un estatuto de oposición con medidas especiales de financiación, acceso a los medios de comunicación y medidas excepcionales de protección a la vida de dirigentes guerrilleros que se propongan hacer política sin armas; también asignación de curules

a la guerrilla desarmada por dos o tres periodos y circunscripciones de paz en varias regiones del país. Las Farc por su parte han dado un paso decisivo al reconocer a las víctimas, al señalar que sus acciones han causado dolor en la población y al entrar en el camino del perdón. El aire de optimismo que se respira en La Habana llevó al gobierno a buscar la autorización del Congreso para un referendo a realizarse en una de las dos justas electorales de 2014. Sería el mecanismo para que la ciudadanía valide los acuerdos. Las Farc han rechazado la propuesta y han insistido en una asamblea nacional constituyente para refrendar lo convenido en La Habana. La diferencia es, desde luego, muy importante y profunda. No obstante la crisis generada por esta contradicción no ha pasado a mayores y la discusión continuará en los próximos meses hasta encontrar una solución.

Los enemigos de la negociación

Dos facciones políticas están jugando duro en Colombia. Santos le apuesta a pasar a la historia como el presidente de la paz y Uribe, su antecesor, que le había apostado a destruir las guerrillas por la vía militar, quiere impedir que las negociaciones de paz prosperen.

A Santos lo acompañan grupos empresariales y líderes políticos de centro derecha y centro izquierda que buscan modernizar el Estado, abrirle paso a un salto económico y a una mayor integración del país a los mercados internacionales y que creen que algunas reformas sociales pueden servir de acicate para estos propósitos.

A Uribe lo acompañan grupos de la derecha tradicional del país, grandes dueños de la tierra y del comercio en las regiones y algunos sectores de la fuerza pública que se inquietan por su futuro en el posconflicto. Estas fuerzas han planteado un duro debate en el que acusan a Santos de hacerle concesiones al terrorismo, debilitar la seguridad del país, desmoralizar a las fuerzas militares y jugar con la democracia. Pero aparte de estas expresiones políticas también juegan sus cartas fuerzas ilegales vinculadas al narcotráfico y otros negocios ilegales que le temen a un proceso de paz porque saben que el Estado podrá dedicar mayores esfuerzos a perseguir el crimen organizado y que un ambiente de estabilidad y paz no es propicio para el crecimiento de las mafias. En un año o menos sabremos quién gana la partida. Sabremos si la guerra termina y se inicia la construcción de una paz estable y duradera o si continua la confrontación militar en procura de una liquidación de las guerrillas mediante la violencia. Es un momento crucial del país.

Contexto y posibilidades

Los dos primeros puntos de la agenda del proceso de negociación con las Farc-Ep no fueron escogidos al azar; en efecto, se relacionan con las dos causas principales del alzamiento armado de campesinos, en lo que era el sur del país de los años 50 y 60.

Después del Bogotazo, comienzan a emerger guerrillas liberales en diferentes regiones del país que se enfrentan a la policía conservadora, a los chulavitas y a los pájaros. El golpe de Estado de Rojas Pinilla como fórmula para superar el enfrentamiento entre las altas dirigencias de ambos partidos, sumado al Pacto de Benidorm, que dio inicio al Frente Nacional, si bien supuso el fin del enfrentamiento entre conservadores y liberales, amplió el espectro del conflicto armado que hemos vivido los colombianos desde hace 50 años. Es en este contexto que deben entenderse los puntos críticos sobre participación política que se discute en La Habana.

Puntos críticos

Las Farc-Ep aspiran a que el Estado las reconozca y los trate como una fuerza política legítima, con vocación de llegar al poder. He ahí el primer punto crítico del proceso: desde el tratamiento como chusma, hasta el actual de terroristas, el Estado se ha negado a darle un status político a la insurgencia; pero también el ordenamiento internacional, que cierra las posibilidades a cualquier acuerdo con fuerzas catalogadas como terroristas; la degradación del conflicto armado que ha llevado a la comisión de delitos aberrantes, repudiados por la generalidad de la sociedad colombiana e internacional.

La aspiración de las Farc es que, abierta y legamente, su plataforma política pueda ser impulsada, elegida y ejecutada. Esto supone que el partido o el movimiento de las Farc, goce de personería jurídica, pueda recaudar fondos, relacionarse con partidos, movimientos y gobiernos de otros países de manera legal, además del acceso a fuentes de financiación públicas, espacio en los medios de comunicación y la posibilidad de presentar candidatos en las diferentes contiendas electorales. Por eso, la sentencia del Consejo de Estado, de rehabilitar la personería jurídica a la Unión Patriótica –UP–, es vista por algunos analistas como un factor a favor de la participación política de la Farc. Queda aún pendiente de esclarecer si entre los alcances

de la reparación a la UP estará el de reconocerle las curules y puestos perdidos, antes de que la eliminación sistemática de sus militantes llevara a la desaparición de este movimiento político.

Un acuerdo sobre participación política podría implicar, además, una reforma al sistema político y electoral de Colombia, en los aspectos de circunscripciones, umbrales, composición de las corporaciones públicas (concejos, asambleas departamentales y Congreso) y un estatuto de la oposición, entre otros temas. Todo lo anterior, con la finalidad de viabilizar la entrada legal en la política por parte de las Farc.

El caudal electoral de las Farc se centraría en los municipios y departamentos donde hoy tiene una mayor concentración de fuerza guerrillera y que no son los de mayor población y peso político en el país, por lo que la reforma al régimen municipal y departamental, y al número de representantes por entidad territorial, se convierten en aspiraciones para garantizar la supervivencia política en un arena de contienda electoral legal. En las actuales circunstancias del país no se ve probable que las Farc logren un golpe de opinión electoral, como lo llegó a tener el M-19 al momento de elegir los delegatorias a la Asamblea Nacional Constituyente de 1991. Aún si se pensara que la dificultad de catalogar como terroristas a las Farc pueda ser obviada, como quiera que al sentarse a negociar el Gobierno está reconociendo de facto el carácter político de ella, subsiste un segundo escollo que se relaciona con la comisión de delitos que hoy no son clasificados como típicos delitos políticos. Es en este punto que la discusión sobre el Marco Jurídico para la Paz que declaró exequible la Corte Constitucional, los alcances de los pactos y convenciones sobre derechos humanos suscritos por Colombia, incluido el Estatuto de Roma por el cual se crea la Corte Penal Internacional y la presión de la comunidad internacional, cobran inusitada relevancia en lo que a participación política se refiere. En este sentido, la estrategia del Gobierno Nacional pareciera expresarse con claridad en el acto legislativo 01 de 2012:

Artículo 3°. La Constitución Política tendrá un nuevo artículo transitorio que será el 67, así: “Artículo Transitorio 67. Una ley estatutaria regulará cuáles serán los delitos considerados conexos al delito político para efectos de la posibilidad de participar en política. No podrán ser considerados conexos al delito político los delitos que ad-

quieran la connotación de crímenes de lesa humanidad y genocidio cometidos de manera sistemática, y en consecuencia no podrán participar en política ni ser elegidos quienes hayan sido condenados y seleccionados por estos delitos.”

El mayor dilema en este acápite correrá por cuenta de las víctimas del conflicto que reclamarán su justo derecho a la verdad, a la reparación y a la justicia. Aún en un escenario de perdón y reconciliación nacional, los cambios que se han generado en el mundo en los últimos años llevan a la no tolerancia de acuerdos que impliquen impunidad frente a los crímenes cometidos.

Justo es decir que numerosas ONG de derechos humanos y partidos de izquierda en el mundo se han opuesto a que los crímenes de lesa humanidad cometidos por los diferentes gobiernos y dictaduras queden sin castigo. Esta misma situación se vive en Colombia y se ejemplifica en las tensiones que han suscitado procesos judiciales emblemáticos como el del Palacio de Justicia y los falsos positivos, o la fuerte crítica a la Ley de Justicia y Paz, pero este argumento que inicialmente fue enarbolado frente actores estatales o paraestatales hoy está siendo utilizado también en contra de fuerzas alzadas en armas.

Otro tema, que no ha sido tan ampliamente discutido por la opinión pública, pero que es parte de la misma moneda, es el tratamiento que se le debe dar a los militares, policías y civiles que han sido acusados de diversos delitos de lesa humanidad, en especial desapariciones o ejecuciones extrajudiciales, y a los acusados de conformación y apoyo de grupos ilegales, léase paramilitares. Después de todo, no faltan las voces que reclam an por qué algunos deban pagar cárcel y someterse al escarnio y otros que han incurrido en hechos delictivos materialmente iguales, tendrían todas las gabelas para el ejercicio de la política. De concretarse un acuerdo de paz en Colombia, el mayor reto estará sin duda en el cambio de cultura política en el país. Durante estos dos últimos siglos de historia la contienda política siempre ha estado marcada por la lógica de amigo/enemigo, aún entre partidos políticos y miembros de una misma colectividad como lo ejemplifican las peleas entre Santander y Bolívar, hasta la relación actual entre presidentes y expresidentes, por eso cobra importancia una pregunta, parafraseando a Estanislao Zuleta: ¿Es este un pueblo escéptico frente a la fiesta de la guerra y maduro para el conflicto?

12 Nº 624, UNIVERSIDAD DE ANTIOQUIA Medellín, septiembre de 2013

Lo que no salga bien cocinado de La Habana difícilmente le gustará a los comensales

¿Qué hay de nuevo en este proceso de negociación?

La metodología, el DIH con su Estatuto de Roma (instrumento constitutivo de la Corte Penal Internacional) y la oposición panuribista.

La metodología del proceso y del trabajo de la comisión, acordada previamente con obligante rigidez, ha sido la clave para que se pueda decir que nunca se había llegado tan lejos a pesar de algunos amagos de crisis, ruidos de cerrojo y de que la balacera continúa inmisericorde.

De esa metodología, la discreción y el pragmatismo han sido norma. La discreción impide que se caguanice el proceso y se convierta en furrusca y algazara. Pero tiene filo por ambos lados porque al excluir la difusión y el conocimiento convierte en secreto lo acordado y abre la ventana al chismoso y al especulador. La discreción genera dudas en el interesado y frustración en el que no ve sus pesares aludidos. El pragmatismo apunta a lo posible, no a lo perfecto, a partes y no a todo. Pero también tiene otra cara porque, acostumbrados a la contingencia, nos esperanza la perfección pidiendo el “todo o nada”, desvalorizando así los logros escalonados y los acuerdos por partes. El pragmatismo ha tenido un gran impacto en la elección de los temas de negociación que aparecen como principales. En todo conflicto hay problemas nucleares y periféricos pero en las negociaciones éstos pueden terminar siendo más urgentes que aquellos. También hay problemas generales y específicos y no pocas veces en las negociaciones éstos adquieren las características de los primeros. El pragmatismo en la elección temática explica en parte que en una agenda de negociación como la que actualmente se lleva a cabo en La Habana con la intención de resolver el secular y rancio conflicto colombiano no aparezcan todos los problemas de la sociedad considerados más agónicos por los analistas especializados y explica en parte que en los cinco puntos que contiene la agenda se mezclen lo nuclear y lo periférico tanto como lo general y lo específico. Así por ejemplo, dos problemas que son de raigambre nuclear y genérica no están en la agenda como prioritarios, pero se incluyen dos que se

desgajan de aquellos. En efecto, parecería obvio que las desigualdades sociales y económicas ampliadas hasta el límite de lo aguantable y por tanto el modelo económico, sean primerísimo objeto de negociación sobre todo para las Farc-Ep que, aun habiendo abandonado las utopías y moralidades comunistas clásicas, se arrogan el liderazgo de la defensa de los pobres y los débiles. En cambio emerge en primer lugar el problema agrario no sólo por el patético olvido oficial de los problemas ligados a las tierras y al agro sino también porque la guerrilla ha sido principalmente telúrica en origen y en comportamiento. Y también parecería obvio que un Estado demasiado corporativo para parecer siquiera liberal y gobiernos elitizados hasta en la base, impliquen poner sobre la mesa un plato principal como el modelo de Estado y no resulta tan esperado que en cambio se ponga en el menú la participación política de exguerrilleros, a través de nuevos procedimientos electorales y distintos sistemas de representación sobre todo regionales que les permita asegurarse en terruños más familiares. Por supuesto que esto se entiende porque una insurgencia desmovilizada no busca sólo supervivencia política, sino también reconocimiento igualitario que le permita legitimar como justa su insurgencia histórica y recla mar su futuro como ganancia. No es casual que exijan trato político igual mediante discri minación positiva.

Por otra parte la comunidad internacional se ha vuelto muy exquisita y exigente con los acuerdos de paz cerrando las puertas a las discrecio nalidades nacionales que caracterizan la mayoría de nuestros intentos an teriores de pacificación sellados con indultos y amnistías, perdones y olvidos. La reivindicada subjetividad jurídica de las víctimas de todos los actores ha acortado la legitimidad del jus ad bellum o derecho a la guerra y guerra justa, al castigar sus consecuencias a través del jus in bello o derecho en la guerra y de su instrumento legislativo, el Derecho Internacional Humanitario, y de su instrumento judicial, la Corte Penal Internaciona,l cuyo marco jurídico está contenido en el Estatuto de Roma ratificado por la comuni-

dad internacional en 2002 y puesto en vigor el mismo año.

En aras de preservar a las víctimas castigando a los victimarios aquende y allende las fronteras nacionales, el Estatuto de Roma pone talanquera ética, política y jurídica a la impunidad que pueda colarse en los acuerdos. No sea que resulte cierto que la política es la continuación de la guerra por otros medios y que termine gobernándonos un asesino con cara de yonofuí entrenado en cualquier ejército de cualquier guerra. Por último cabe señalar que la oposición interna al proceso de negociación con las guerrillas no es nueva, pero que, sin embargo, en el actual proceso de negociación ha tenido y tendrá una influencia poderosísima sobre todo en el contexto de una contienda electoral en la cual la posible reelección del actual presidente o la elección de un sucesor que sea de su trinca, están pegadas al éxito o al fracaso del proceso de La Habana. En la oposición al proceso de negociación no se pueden incluir a los pesimistas que los hay de todas las variedades. Los que no creen ni en el rejo de las campanas; los llamados gadejos; los calculadores racionales cuyas sumas siempre restan, los agnós

ticos; los que sólo creen en la misericordia de Dios, los gaznápiros. Rayando en la oposición están los radicalmente opuestos a los pesimistas que son una fanaticada de optimistas fatuos dispuesta a devolverse ante cualquier duda. Pero los opositores reales no son los que no creen en el proceso de paz sino los que no lo quieren por diversas razones aunque tratan de ocultar su malquerencia interesada con eufemismos moralistas, patrioterismos viscerales o resentimientos mal disimulados. Entre ellos son típicos los señores, profesionales y comerciantes de la guerra, el lumpen de todos los sectores sociales de cero a diez, que viven de la molicie, el desgreño, el desorden y la violencia, los pescadores de ríos revueltos y tal vez el más conspicuo opositor es el panuribista que quisiera que el expresidente fuera más de lo que yo creo que realmente es; aunque a él le gusta que muchos, ojalá muchos, crean que es como quieren que sea. Y como esta oposición es de cuidado porque el proceso de negociación es frágil, creo yo que lo que no salga bien cocinado de La Habana difícilmente gustará a los comensales porque cualquiera de las fórmulas hasta ahora propuestas para garantizar una especie de candado político a los posibles acuerdos, sea un referendo o una asamblea nacional constituyente, juegan al azar el destino del proceso, si bien goso y adecuado el primero porque, a diferencia de la segunda, que

zo del proceso como si no se zado, es más acotado y

13
Nº 624, UNIVERSIDAD DE ANTIOQUIA Medellín, septiembre de 2013 Ilustración Juan Andrés Álvarez Castaño

La complejidad del sector rural

El problema agrario y la tierra están en el centro del conflicto interno colombiano, de manera particular en las viejas demandas de las Farc y la confrontación que por más de cincuenta años ha mantenido el Estado y el establecimiento colombiano con esa guerrilla de origen rural. No en vano, el primer punto de la agenda preacordado en La Habana este año, tras seis meses de iniciadas las conversaciones, fue precisamente alrededor de ese tema, presentado bajo el título “Hacia un nuevo campo colombiano: reforma rural integral”.

Más allá del título, los colombianos poco conocen sobre los contenidos y el alcance de ese preacuerdo, en el entendido de que “nada está acordado hasta que todo esté acordado”, como lo han sostenido todo el tiempo las partes; quizás por lo mismo, los análisis como las críticas han abundado, en un ambiente exacerbado por los cuestionamientos recientes a asuntos como las zonas de reserva campesina por un lado y, por el otro, a las operaciones por parte de poderosos grupos económicos para quedarse con tierras que, en

principio, correspondían a unidades agrícolas familiares.

No obstante, respecto de los enunciados generales del primer preacuerdo, el experto en temas agrarios Absalón Machado Cartagena resalta cuatro aspectos que según él establecen diferencias con la política actual.

En primer lugar —observa el director técnico del Informe de Desarrollo Humano 2011 para Colombia— se centran en el bienestar y el buen vivir de la gente en el campo, porque ponen a las personas en primera fila. “Y este es un buen augurio porque manda el mensaje de que es necesario empezar a caminar las rutas de desarrollo humano”, dice.

En segundo lugar, los enunciados hacen énfasis en la economía campesina, familiar y comunitaria para el desarrollo del campo, es decir, son un indicativo de “que estas formas organizativas deben tener un espacio en la sociedad y merecen el apoyo del Estado”.

De acuerdo con Machado Cartagena, los enunciados también insisten en el acceso integral a la tierra, acompañado de los medios y capacidades para su uso, con la provisión de bienes públicos.

14 Nº 624, UNIVERSIDAD DE ANTIOQUIA Medellín, septiembre de 2013

1982-1986 / Durante la presidencia de Belisario Betancur se llevó a cabo el primer intento de paz con las Farc —fundadas en 1964—, el M-19 y el EPL. El 28 de marzo de 1984 las Farc pactaron una tregua y algunos de sus miembros formaron el movimiento político Unión Patriótica. El asesinato de más de tres mil integrantes de ese colectivo político, la toma del Palacio de Justicia en 1985 por el M-19, y el incumplimiento del cese al fuego, provocaron que finalmente el proceso se rompiera en 1987, año en el que murieron en un ataque guerrillero 25 militares.

1990 / Virgilio Barco, presidente entre 1986 y 1990, acordó el desarme del M-19. La negociación terminó con la dejación de las armas por parte de este grupo, avalada por la Internacional Socialista y la candidatura de Carlos Pizarro a la presidencia, que fue asesinado en abril del mismo año.

1990 / El 9 de diciembre, siendo presidente César Gaviria Trujillo, miembros del ejército colombiano llevaron a cabo la Operación Colombia, un ataque contra “Casa Verde”, lugar que era considerado el santuario de las Farc y donde se encontraba el Secretariado de ese grupo guerrillero. Este hecho marcó una grieta abismal en el terreno de paz, abonado en los años anteriores con ese grupo.

Y, por último, proponen la creación de una jurisdicción agraria, “que tanto falta hace para superar las limitaciones que tiene el Código Civil, donde prevalece el derecho de propiedad sobre el derecho de uso y disfrute de la tierra”, afirma.

Y aunque el preacuerdo menciona otros temas —creación de un fondo de tierras, modernización del catastro, formalización de la propiedad rural, mecanismos alternativos de conciliación y resolución de conflictos, uso del suelo, limitación de la frontera agropecuaria, zonas de reserva campesina—, para el profesor Machado Cartagena es claro que los enunciados hasta ahora conocidos en las conversaciones de paz sobre políticas de desarrollo agrario integral no cubren todos los aspectos constitutivos de la problemática rural. En tal sentido, para Machado Cartagena los problemas que enfrenta el sector rural y que están en el debate en el proceso de paz constituyen una red densa y compleja de conflictos, que él sintetiza en cinco: el problema agrario propiamente, el problema de la productividad o competitividad, el desarrollo rural, el conflicto armado interno y un grupo de temas que denomina los conflictos de la modernización.

1991 / Las Farc, el ELN y el EPL, reunidos en la llamada Coordinadora Guerrillera Simón Bolívar, participaron en una negociación con delegados del gobierno de Gaviria. Los acercamientos se dieron inicialmente en Venezuela y luego se trasladaron a México. En octubre de 1992 las partes se levantaron de la mesa.

1998 / En agosto se posesionó Andrés Pastrana como presidente de Colombia y anunció el inicio de un nuevo intento de paz con las Farc.

1999 / El llamado proceso de paz del Caguán inició el 7 de enero de 1999. Cuarenta y dos mil kilómetros cuadrados fueron desmilitarizados para ese fin. En febrero de 2000 los voceros del gobierno y las Farc viajaron a Europa a hablar del proceso de paz, y en junio de 2001 esa guerrilla liberó a 242 militares y policías que tenían en cautiverio. En febrero de 2000 las Farc secuestraron un avión y retuvieron al senador Jorge Eduardo Gechem. Esa misma noche el Presidente anunció la cancelación del proceso de paz y el reintegro del Ejército a la zona de distensión.

Foto cortesía Periódico El Colombiano

Nº 624, UNIVERSIDAD DE ANTIOQUIA Medellín, septiembre de 2013

¿Sin cese al fuego?

La historia reciente de conversaciones de paz con la guerrilla de las Farc, en los años 80 y en la época del Caguán, tienen como antecedente común el desarrollo del proceso en medio de una tregua o acuerdo bilateral de cese al fuego, incluso los diálogos de 1999 incluyeron zona de despeje. Ambas experiencias fracasaron.

Actualmente, cuando está por cumplirse un año de un nuevo intento de ponerle fin al conflicto armado entre el Estado y las Farc, el cese al fuego no es el asunto relevante para construir la agenda y adelantar los diálogos. Este modelo, obedece según algunos analistas al acopio de experiencias pasadas y a la necesidad de priorizar los temas centrales de la agenda de la mesa de La Habana.

El exconstituyente Jaime Fajardo Landaeta opinó que nunca se había tenido en Colombia un proceso de paz tan bien cimentado, tan bien definido en objetivos, estrategias y logros a seguir. Es tan integral, afirma, que se dice que nada está acordado hasta que todo esté acordado.

tenido. Para él un cese bilateral es muy sensible y destaca, con referencia al cese unilateral establecido por las Farc a finales de 2012, que la Pontificia Universidad Javeriana reveló en un estudio que la guerrilla cumplió la tregua en más del 80 por ciento, pero la noticia para los medios y para el país fueron las 57 violaciones del cese. “Se vuelve más importante el cese al fuego o su violación, que el proceso mismo”, afirmó Navarro Wolff.

“Para qué pedir treguas, si a última hora nos quedamos analizando quién violó la tregua, por qué se violó, verificaciones internacionales… Y una cantidad de gente, de estructuras, de procedimientos únicamente para la tregua y no para la agenda que nos lleve a finalizar el conflicto”, se preguntó Fajardo Landaeta.

Para este exconstituyente y hoy Asesor de Paz y Convivencia de la

y se continuó la construcción de la agenda que el propio Cano inició. Se han dado golpes a otras estructuras y la negociación sigue”, recordó.

El analista del conflicto recordó que se habla de una agenda para la finalización del conflicto, y como tal los problemas de las treguas y los ceses bilaterales no caben, porque ya se experimentó en Colombia con ese modelo y cuando se dan esas discusiones se centran los debates en la verificación de la tregua y no en los asuntos sustanciales como la construcción de la agenda para finalizar el conflicto. En igual sentido se expresó Jorge Giraldo, decano de la Facultad de Ciencias y Humanidades de la Universidad Eafit: “Los dos procesos anteriores, en 1984 y 1999, fueron procesos que se desarrollaron con treguas bilaterales y no terminaron bien”. Consideró que cuando se habla de treguas y ceses al fuego se agravan las desconfianzas por la complejidad de verificar el cumplimiento de lo pactado.

En esa misma línea se ubica el exmilitante del M-19 Antonio Navarro Wolff, al conceptuar que la decisión del gobierno y de las Farc de negociar en medio del conflicto es parte de la experiencia que se ha

Alcaldía de Medellín, un cese bilateral beneficiaría más a las Farc, porque la ventaja militar la tiene el Estado, a diferencia de lo que sucedió en la época del Caguán. “Estamos en el mejor momento de negociar. Uno arrincona al enemigo y le quita ventaja militar para sentarse a negociar. Las Farc entendieron que ya es hora de negociar, y que una oportunidad como ésta para poner fin al conflicto armado no se volverá a presentar”, aseguró.

Para Jorge Giraldo, la decisión de negociar la paz en medio del conflicto se puede explicar desde un asunto conceptual: “que el proceso no sea utilizado como táctica de guerra. En el pasado las treguas fuero utilizadas por las partes para fortalecerse militarmente y para mejorar posición estratégica”.

Fajardo Landaeta opinó que la seriedad de este tipo de negociación ya mostró que es posible negociar manteniendo el conflicto soportando golpes sensibles.

“Alfonso Cano, que fue uno de los promotores de este modelo, fue abatido por la fuerza pública

El decano de la Facultad de Ciencias y Humanidades de la Universidad Eafit explicó que negociar en medio del conflicto trae consigo riesgos, pero que visto lo que se ha negociado en La Habana, se puede afirmar que ese riesgo ya está salvado. Afirmó que frente a los ataques de las Farc y los operativos de la fuerza pública la mesa de La Habana se ha mantenido distante de esas contingencias de la guerra. Es previsible que continúen las hostilidades, las emboscadas de las Farc a la fuerza pública y los operativos en contra de las estructuras guerrilleras. “Esas eventualidades de ataques están incorporadas en la negociación. Se supone que se deben aceptar golpes como los que han recibido tanto ejército, policía, como las Farc”, señaló Giraldo, mientras que Fajardo Landaeta expresó que de todos modos se seguirá negociando, y piensa que existe la convicción en las partes de que hasta que no haya una agenda sólida o negociada no se hablará de ese tema. “Cuando se hable de tregua, será para terminar el conflicto”, dijo. Otro panorama es negociar en medio del conflicto y en época electoral. Para Antonio Navarro Wolff unas elecciones con operaciones guerrilleras y sus consecuencias pueden tener un efecto muy grave para el proceso de no mediar acuerdos antes de las elecciones.

Giraldo opinó que el gobierno no tiene como ideal negociar en tiempo electoral, pero que es casi inevitable que se llegue a ese escenario el próximo año, asunto que podría perjudicar a las Farc, pues de esa manera ellos se inhabilitarán para el proceso de 2014, un hecho contraproducente, ya que el siguiente escenario nacional de carácter electoral, de darse un acuerdo de paz, sería en 2018, un tema que podría ya ser lejano y no tan capitalizable políticamente.

Fajardo Landaeta cree que negociar la paz en medio del debate electoral tiene como riesgo mayor el que en las urnas la población no refrende los acuerdos a los que se llegue en La Habana. “Eso sí sería preocupante”, puntualizó.

Sergio Jaramillo: es filósofo y filólogo. Lideró el programa Diplomacia para la paz, de la Cancillería de Colombia. Dirigió la Fundación Ideas para la Paz. Fue viceministro cuando el actual presidente de Colombia ejerció como ministro de Defensa en el gobierno de Uribe Vélez. Para el actual proceso de paz fue nombrado Comisionado de paz.

Oscar Naranjo: durante cinco años fue el director de la Policía Nacional. Su lucha contra el narcotráfico durante esa labor, es un aspecto que le da protagonismo en un tema clave en la mesa de negociación. Es administrador policial y tiene un posgrado en seguridad integral. Luis Carlos Villegas: el presidente de la Asociación Nacional de Industriales, Andi, fue ministro encargado de Relaciones Exteriores, gobernador de Risaralda y senador de la República. Es abogado y socioeconomista. Enrique Mora Rangel: 42 años de carrera militar sumó este excomandante del Ejército, cargo que desempeñó entre 1998 y 2002, justo en el periodo del proceso de paz del Caguán. Tras el fallido proceso, acompañó durante un año la reorganización militar del gobierno de Uribe Vélez. Se retiró en 2003.

Frank Pearl: este economista es el actual Consejero para la Seguridad del gobierno. Fue Alto consejero presidencial para la reintegración social y económica de personas y grupos alzados en armas, y ministro de Ambiente y Desarrollo Sostenible. Humberto de la Calle: con 66 años de edad, es el jefe de las negociaciones por parte del gobierno. El abogado, participó en la redacción de la Constitución de 1991. Además, es exvicepresidente y exministro de Gobierno e Interior.

Iván Márquez: fue representante por la Unión Patriótica a la Cámara en la década de los ochenta. Tras el exterminio de ese partido político, ‘Márquez’ regresó en 1987 a las Farc. Desde 1990 integra el Secretariado de esa guerrilla. Su nombre real es Luciano Marín Arango.

Jesús Santrich: tiene un posgrado en historia e ingresó a las Farc a los 21 años. Antes fue activista político en la Juventud Comunista —Juco—, perteneció al Partido Comunista Colombiano —PCC— y a la Unión Patriótica. Su nombre real es Bertulfo Álvarez.

Rodrigo Granda: es conocido como el Canciller de las Farc. Tuvo protagonismo mediático en 2007, pues aunque estaba capturado, el presidente Álvaro Uribe lo liberó por “razones de Estado”, al parecer en respuesta a una solicitud del gobierno francés para facilitar la liberación de la secuestrada Ingrid Betancourt.

Andrés París: su nombre real es Jesús Emilio Carvajalino. Tiene experiencia en procesos de paz, pues participó como negociador en el Caguán. Representa el ala política del grupo guerrillero, en el que hace parte del Estado Mayor Conjunto.

Marcos Calarcá : hace parte de la comisión internacional del grupo armado, pues fue portavoz de las Farc en México desde 1993 hasta 2002. Formó parte del Comité temático durante el proceso de paz en el Caguán.

Simón Trinidad : fue el primer miembro de las Farc en ser extraditado a EE. UU., en 2004, por ello, aunque esa guerrilla lo nombró negociador, no está de cuerpo presente en la mesa. Ingresó a las Farc en 1987, pero antes cursó un posgrado en finanzas en Harvard y fue docente de la Universidad Popular del Cesar.

15
Ilustración Juan Andrés Álvarez Castaño

Asamblea nacional constituyente o ¿referendo?

Entre los mecanismos legales y constitucionales para refrendar un eventual acuerdo de paz ha habido una polarización. Por un lado, las Farc-EP plantean una asamblea nacional constituyente en tanto que el Gobierno es partidario de un referendo constitucional, como lo evidenció la iniciativa que en esa dirección radicó ante el Congreso el presidente de la República en la última semana de agosto.

De acuerdo con Daniel Franco Arango, abogado de la Universidad Pontificia Bolivariana, para conformar una asamblea constitucional el Congreso debe tramitar una ley con el fin de disponer que el pueblo vote si convoca o no. Si los resultados son afirmativos se procede a elegir a los representantes que conformarán dicha asamblea. Este organismo tendría la potestad de reformar completamente la Constitución actual.

Según el artículo 376 de la Constitución Política de Colombia para la convocatoria a una asamblea constituyente se requiere la aprobación de por lo menos una tercera parte de los integrantes del censo electoral que, de acuerdo la Registraduría Nacional, es de 31 millones.

Según Franco, este mecanismo resulta inconveniente porque “en la asamblea se reabrirían los debates de los acuerdos ya logrados los cuales podrían desconocerse e incluso plantearse nuevos temas desviando la atención en temas ajenos al fin del conflicto que es el que ahora nos convoca”.

En cuanto al referendo, éste también debe ser presentado ante el Congreso, explica la abogada constitucionalista María Cristina Gómez Isaza. El texto que contendría las preguntas que los ciudadanos contestarían deberá ser aprobado y revisado por la Corte Constitucional.

Posteriormente —precisa la profesora de la Facultad de Derecho y Ciencias Políticas de la Universidad de Antioquia— se convocaría al pueblo para que vote por cada uno de los puntos, que solo girarían en

Negociación en medio del conflicto

Piezas clave de la negociación

1. El desarrollo rural: el 26 de mayo de 2013 los negociadores del gobierno nacional y las Farc anunciaron desde La Habana el primer acuerdo desde que se inició la negociación.

Lo llamaron “Hacia un nuevo campo colombiano: reforma rural integral”, e incluye temas como el acceso y uso de la tierra; programas de desarrollo con enfoque territorial; desarrollo social; subsidios; créditos; formalización laboral; y políticas alimentarias y nutricionales.

torno a los acuerdos previamente logrados en La Habana.

Para reformar la Constitución vía referendo es necesario que la cuarta parte del censo electoral vote y además que la mitad más uno responda de manera afirmativa. Por la forma en que se han desarrollado los diálogos en La Habana, y por los acuerdos que se han logrado, Franco considera que el mecanismo del referendo es el más apropiado por “el hecho de que sea el pueblo, como constituyente primario y princi -

Política agraria

Comisión de la verdad

5. Víctimas: derechos humanos de las víctimas y verdad, son los dos aspectos que se resaltaron en el “Acuerdo general para la terminación del conflicto y la construcción de una paz estable y duradera”, documento base de la negociación. El respeto por las normativas internacionales y el acuerdo que las partes definan en relación con la verdad, la justicia y la reparación de las miles de víctimas del grupo insurgente es otro de los puntos sensibles del proceso.

pa l víctima del conflicto, quien directamente vote y no a través de unos representantes que refrenden los acuerdos”. Además, afirma, su procedimiento resulta menos complejo.

Sin embargo, Gómez Isaza opina que aunque en un referendo los colombianos tienen la posibilidad de aprobar o no “es la ley la que escoge las preguntas que se le van a hacer al pueblo”. Por lo mismo, la abogada constitucionalista propone una iniciativa popular ya que con

2. La participación política: es el punto que con los derechos y garantías para el ejercicio de final. Además, los negociadores deben llegar a fomentar la participación en la política nacional,

esta –dice— es el pueblo el que tiene la posibilidad de plantear proyectos de ley, actos legislativos, proyectos de asamblea constituyente o de referendo.

“Para entender si hay una verdadera participación del pueblo se tiene que conciliar la iniciativa popular con la asamblea nacional constituyente o con la ley de referendo”, afirma.

También hay otros mecanismos que podrían refrendar un posible acuerdo de paz: el plebiscito y la consulta popular.

Participación

16
Nº 624, UNIVERSIDAD DE ANTIOQUIA Medellín, septiembre de 2013 Marco Ju Marco Político

que actualmente se está abordando. Incluye tres temas gruesos. El primero tiene que ver de la oposición política y de los movimientos que surjan luego de la firma del acuerdo acuerdos sobre los mecanismos democráticos de participación ciudadana y sobre cómo nacional, regional y local, en igualdad de condiciones y con garantías de seguridad.

Participación política

Fin del conflicto

Narcotráfico

Acuerdos

¿Referendo?

3. Fin del conflicto: supone un cese al fuego y de hostilidades bilaterales entre esa guerrilla y las fuerzas armadas. Este es un punto consustancial al anterior, pues además de la dejación de armas tiene que ver con la reincorporación de los miembros de las Farc a la vida civil, económica, social y política. El gobierno, además, pactó revisar la situación de los miembros del grupo guerrillero privados de la libertad.

4. Solución al problema de las drogas ilícitas: Farc y narcotráfico han tenido una relación estrecha en las últimas dos décadas. Además, los cultivos ilícitos representan el sustento de miles de campesinos de las zonas donde esa guerrilla tiene una fuerte presencia. Este punto de negociación incluye programas de sustitución de cultivos de este tipo y de recuperación ambiental. Además, reclama programas de prevención del consumo y salud pública, así como la búsqueda de una solución del fenómeno de producción y comercialización de narcóticos.

Nº 624, UNIVERSIDAD DE ANTIOQUIA Medellín, septiembre de 2013

17

2011 / Comunicaciones secretas entre el gobierno y las Farc propiciaron una primera etapa de conversaciones exploratorias durante seis meses.

Febrero de 2012 / Representantes de Noruega, Cuba, Venezuela y Chile, como países acompañantes, propiciaron encuentros con los facilitadores del proceso de paz.

Septiembre 4 de 2012 / “No se repetirán los errores del pasado”, dijo Juan Manuel Santos en la alocución presidencial que confirmó que se estaba pactando un proceso de paz con las Farc.

Octubre 18 de 2012 / Voceros del gobierno y de las Farc se reunieron en Oslo, Noruega. Allí acordaron la instalación pública de la mesa de conversaciones encargada de desarrollar el Acuerdo general para la terminación del conflicto y la construcción de una paz estable y duradera.

Noviembre 19 de 2012 / Inició la discusión sobre el primer punto de la agenda: el desarrollo rural.

Diciembre 17, 18 y 19 de 2012 / En Bogotá se realizó el Foro sobre política de desarrollo agrario integral, promovido por la mesa de conversaciones.

Abril 28 al 30 de 2013 / Representantes de distintos sectores de la sociedad civil fueron convocados al Foro sobre participación política.

Mayo 26 de 2013 / las delegaciones anunciaron el primer acuerdo de la agenda de negociación: “Hacia un nuevo campo colombiano: reforma rural integral”.

Junio 1 de 2013 / Inició la discusión del segundo punto de la agenda sobre participación política.

Agosto 10 de 2013 / Luego de tres rondas de discusión y mes y medio después de iniciados los diálogos sobre la participación política, el gobierno y las Farc anunciaron la redacción de acuerdos concretos sobre este tema.

M ediante esta última se podría someter una pregunta de carácter general a la consideración del pueblo para que se pronuncie formalmente al respecto. Para su aprobación es necesario que la mitad más uno de los sufragantes aprueben dicha consulta, siempre y cuando haya participado al menos la tercera parte del censo electoral.

El plebiscito, por su parte, es el pronunciamiento del pueblo convocado por el Presidente en el que se apoya o r echaza una determinada decisión del Ejecutivo. El pueblo se decidirá, en plebiscito, por la mayoría del censo electoral.

Según Mario Montoya Brand, profesor de la Escuela de Derecho de la universidad Eafit, una posible razón para que estos dos mecanismos no se hayan contemplado es por los altos umbrales electorales que requieren. “Tradicionalmente en Colombia, salvando el caso de los referendos, es difícil contemplar asambleas consti -

tuyentes, consultas populares y plebiscitos porque requieren una participación muy alta que llega al 50% en uno y 30% en otro; en consecuencia hay un riesgo muy alto de que se hunda el proceso de negociación”, dice el doctor en derecho público.

Montoya Brand, además, explica que a diferencia del referendo constitucional y la asamblea nacional constituyente, ni el plebiscito ni la consulta popular tienen la facultad de modificar la Constitución.

Agosto 20 de 2013 / Las Farc por primera vez reconocen su responsabilidad en relación con parte de las víctimas del conflicto armado.

Agosto 22 de 2013 / El gobierno nacional radica en el Congreso una iniciativa que permita la posibilidad de que mediante un referendo constitucional los colombianos puedan refrendar los acuerdos de La Habana con las Farc.

Agosto 28 de 2013 / La Corte Constitucional declaró exequible el Marco Jurídico para la Paz.

urídico para la Paz Justicia transicional Político para la Paz

Voz y voto en el escenario del posconflicto

Desde la génesis del conflicto con las Farc, la participación en política de esa guerrilla ha sido uno de sus aspectos más sensibles y politizados. No solo porque quienes dejen las armas podrían ser elegidos como senadores, concejales, alcaldes, representantes, incluso presidentes, sino también porque la integración de las Farc a la vida democrática colombiana exige definir mecanismos de justicia, verdad, reparación y garantía de no repetición, para que efectivamente se pueda hacer política sin armas.

Cuando surgieron las Farc en 1964, la política colombiana estaba ocupada por el Frente Nacional, una coalición entre liberales y conservadores que se alternó el poder hasta 1974. Y es que, históricamente, la participación política en Colombia estuvo restringida hasta la Constitución de 1991, cuando se abrió el espectro político, tras la dejación de las armas de movimientos guerrilleros como el M-19 o el Quintín Lame, para quienes hubo amnistía e indulto.

Hoy, a diferencia de aquellos acuerdos, los indultos totales parecen no ser un camino viable, pues Colombia ha suscrito una serie de tratados internacionales, entre ellos el Estatuto de Roma —que no contempla ningún tipo de amnistía—, que señalan que tratándose de crímenes de lesa humanidad, los estados adquieren la obligación de castigar a los responsables.

“Pero aquí el conflicto se ha degradado tanto que ninguno de los actores, incluido el Estado, está exento de haber incurrido en delitos de lesa humanidad, es decir, secuestros, desapariciones forzadas, violaciones sexuales o ataques a la población civil. Me parece que si hay un real ánimo de resolver el conflicto, Colombia tendrá que ser muy imaginativa”, manifestó Julio González, docente de la Facultad de Derecho y Ciencias Políticas, para quien la Corte Penal Internacional es un organismo burocrático, lejano y discriminatorio, pues no juzga a países como Estados Unidos. González advirtió que si el país desarrolla una respuesta institucional fuerte, la comunidad internacional va a tener que respetar esos acuerdos.

La Corte Penal Internacional ha expresado que en un proceso de paz los países pueden llegar a medidas excepcionales, sin que signifique impunidad para estos crímenes. “Pero debe haber un consenso mayoritario, representativo de la sociedad, apoyado por las víctimas, sobre la necesidad de esa justicia transicional, donde los crímenes de lesa humanidad sean sancionados”, explicó el senador Iván Cepeda.

“El asunto problemático radica en que es posible que habiendo sanción de los crímenes haya medidas de suspensión de penas, un ‘sapo’ grande que tragar, porque en ningún proceso de paz en el

mundo, las fuerzas que han depuesto las armas las han dejado para no participar en política”, dijo.

Según Julio González, el concepto de justicia está muy ideologizado porque tradicionalmente se considera que es indispensable la cárcel.

Por su parte, el director del Instituto de Filosofía, Francisco Cortés, indicó que la negociación va a requerir ciertos grados de perdón. “Creo que las Farc no pueden pretender una amnistía total, van a tener que aceptar ciertas privaciones de la libertad. Esto haría posible que las víctimas sientan que se está haciendo justicia. Si se imponen totalmente las exigencias de justicia, entonces no hay paz y si se imponen completamente las exigencias de paz, las víctimas van a sentir que es algo injusto, asunto que será perjudicial para la historia del país, porque será motivo de nuevas guerras y violencias”.

Los expertos coinciden en que por primera vez las víctimas aparecen en el escenario. Iván Cepeda sostuvo que se necesita que las víctimas sean reconocidas, primero por los autores de los hechos criminales, sean de las guerrillas, los paramilitares o el Estado; segundo, por la sociedad, para visibilizarlas ante los distintos actores; y tercero por las víctimas mismas, un asunto que según Cepeda es complicado, pues “no es fácil que alguien levante la mano y diga: yo fui objeto de violaciones y necesito que mis derechos me sean reconocidos”.

Antonio Navarro Wolff, quien perteneció al M-19 y ha ocupado diferentes cargos públicos y de elección popular, advirtió que la participación política es el corazón de una paz negociada. También explicó que la búsqueda de una solución jurídica, aunque compleja, es necesaria. Un ejemplo de ello es que se necesitan cinco leyes estatutarias para que el Marco Jurídico para la Paz sea práctico. Dicho marco es una de las herramientas que dispuso el Gobierno Nacional para facilitar la reintegración a la vida civil de los desmovilizados.

Finalmente, reducir la participación política a la presencia de excombatientes en los organismos de representación es una mirada simple, pues desconoce aspectos como la financiación de los partidos políticos, las campañas electorales, el acceso a los medios de comunicación y la seguridad de estas personas, quienes corren el riesgo de ser exterminadas como ocurrió con los miembros de la Unión Patriótica en los años ochenta. Por el momento, el histórico problema de la participación política se debate en una mesa de diálogo ad portas de unas elecciones presidenciales inminentes.

“Esto va a traer más problemas de los que ya hay, porque todos van a querer sacar provecho de eso, además, dependiendo de quién sea el nuevo presidente, el proceso sigue o no”, advi rtió Cortés.

Diplomacia para la paz

En las actuales conversaciones de La Habana, como en los anteriores procesos, la comunidad internacional juega un papel importante en la búsqueda de la paz. Que la negociación tenga un especial eco en los medios internacionales y que los gobiernos y organismos de otros países se pronuncien sobre el tema no es gratuito: el colombiano es el último conflicto armado del continente y lograr que en Colombia se estrechen las manos de la paz, le daría un respiro a la región ante una problemática que ha sido recalcitrante. Por ello, la llamada diplomacia para la paz es una pieza clave en las mesas de diálogo. Sin embargo, la actual negociación da cuenta de lecciones aprendidas. “Parece que las partes negociantes, con base en proceso anteriores, llegaron a la conclusión de que la participación internacional es algo que tiene que manejarse con mucho cuidado”, advirtió Sandra Borda, politóloga, internacionalista y docente de la Universidad de Los Andes. Mientras que el actual proceso de paz ha mantenido una moderada participación de la comunidad internacional, los diálogos del Caguán involucraron con vehemencia la participación de representaciones de varios países y organismos internacionales. Según Borda, operó la lógica del mientras más, mejor. “Era ese intento por traer a mucha gente, gente de muy alto perfil como el presidente de la Bolsa de Nueva York, gente que realmente no se sabía qué venía a hacer”, señaló Borda. En esta nueva oportunidad de paz la selección de participantes internacionales ha sido cuidadosa. Cuba y Noruega —cada uno con cualidades particulares para las partes del proceso—, no solo han actuado como sedes, sino también que participaron desde el inicio del proceso y continúan como garantes. Venezuela y Chile, en cambio, actúan en calidad de acompañantes del proceso.

“Creo que se aprendió que si Estados Unidos está tan inmerso en el proceso de paz, a ojos de la insurgencia le quita legitimidad y produce una tensión difícil de manejar para el gobierno”, dijo Borda. Si en el Caguán hubo incluso reuniones del Departamento de Estado estadounidense y la guerrilla, en este proceso de paz las reuniones y declaraciones de ese

18 Nº 624, UNIVERSIDAD
2013
DE ANTIOQUIA Medellín, septiembre de
Por PEDRO CORREA OCHOA

gobierno han sido mesuradas. En una reciente visita oficial a Colombia, el Secretario de Estado, John Kerry, contó que se había reunido con el equipo negociador del gobierno y que su país estaba dispuesto a apoyar una etapa de posconflicto.

La relación del gobierno colombiano con Estados Unidos hoy tiene diferencias importantes. Desde el último año de la administración Bush, la cooperación económica para Colombia empezó a reducirse. Además, mientras que en el Caguán una de las principales quejas de las Farc era que el gobierno jugaba a dos bandas al negociar por un lado y conseguir financiación militar por otro, en el proceso actual esa discusión no tiene tanto protagonismo. Analistas como Borda han señalado que el Plan Colombia fue un plan B para el fortalecimiento militar del Estado en caso de que ese proceso fracasara, como en efecto sucedió. A esos aspectos, que evidentemente evitan asperezas con el grupo guerrillero, se suma la propuesta revisionista del presidente Santos frente a la lucha contra las drogas ilícitas en Latinoamérica.

Otra participación importante en el proceso es la de Venezuela. Según Borda, el país vecino tuvo una labor decisiva en la etapa previa de la negociación, especialmente en propender el acercamiento entre las Farc y el gobierno. “Santos insultaba a Chávez constantemente cuando era ministro de Defensa, y de un momento a otro se mostraron como los mejores amigos. “Ahora sabemos que el objetivo del gobierno era una relación mucho más cordial con Venezuela para evitar que ese país le metiera ruido al proceso y se convirtiera en un actor adverso del Estado”, dijo Borda.

Según la politóloga —autora del libro La internacionalización de la paz y de la guerra en Colombia durante los gobiernos de Andrés Pastrana y Álvaro Uribe—, el tema más preocupante para la comunidad internacional es el de violaciones a los derechos humanos. Sin duda, bajo su lupa estará la discusión frente a la responsabilidad de la guerrilla y del Estado en este tipo de acciones y cómo serán juzgadas. Pero también vigilará las condiciones en las que se dé el posconflicto. El caso centroamericano es bastante elocuente en ese sentido. El Salvador, que terminó por la vía del diálogo con su conflicto armado, ha sufrido una ola de inseguridad gigantesca. “Se necesitó consolidar las fuerzas armadas para enfrentar el crimen organizado. Entonces esa será una gran cuenta a deber de Colombia en el escenario internacional”, advirtió Borda. Este, como los gobiernos anteriores, se ha ufanado de la convicción constitucional de Colombia por la defensa de los derechos humanos. Así que en la arena del posconflicto vendrá una prueba de fuego: si el conflicto está saldado, no habría excusa entonces para que esa defensa sea intachable. “Se va a necesitar un tercer actor para cerciorarse de que ese acuerdo no será letra muerta y solamente papel”, dijo Borda. En ese sentido, el gran desafío, más que el proceso mismo, es la implementación del acuerdo como tal. En ello, la verificación internacional será un garante fundamental del cumplimiento de lo acordado, no solo en la esfera democrática, sino también en materia de transformaciones sociales y eso, desde luego, implicará también un respaldo económico internacional importante.

Justicia transicional y Comisión de Verdad y Reparación

La idea de justicia transicional ha recibido una creciente atención en los últimos años en las sociedades en conflicto y postconflicto y puede ser definida como la concepción de justicia asociada con períodos de cambio político, caracterizada por las respuestas legales para confrontar los daños de los regímenes represivos anteriores. La justicia transicional puede incluir mecanismos judiciales y no judiciales con diferentes niveles en el tratamiento del juzgamiento de los individuos, y puede comprender persecuciones individuales, reparaciones, búsqueda de la verdad, reforma institucional, descalificación y destituciones, o una combinación de ellas. Se ha dicho algunas veces que la justicia y la paz no pueden coexistir. Se mostrará que no hay incompatibilidad entre esos dos valores en la medida en que pueda señalarse que la verdad está vinculada con cierta forma del reconocimiento público de los actos criminales.

Uno de los componentes de la justicia transicional es la justicia restaurativa, que ha sido concebida para rectificar profundas injusticias mediante la restauración de la dignidad humana y civil de las víctimas. En las situaciones de transición, afirman los teóricos del modelo restaurativo, las sociedades deben buscar otros caminos para realizar algunos de los fines de la justicia, como el de proveer algunas medidas de justicia para las víctimas a través de permitirles expresar sus historias, reconocer su sufrimiento, investigar la verdad sobre lo que pasó y restaurar el orden moral a través de establecer alguna medida de responsabilidad por parte de aquellos comprometidos en las graves violaciones de los derechos humanos (Rincón, 2010, 45-121). Para algunos defensores de la justicia restaurativa, el tipo de justicia que se puede alcanzar en una situación de transición es una justicia alternativa. Ésta constituye el tipo de justicia posible debido a la imposibilidad o dificultad de procesamiento y castigo.

De este modo, uno de los problemas fundamentales que resolvieron, tanto la Comisión Sudafricana de Verdad y Reconciliación como las comisiones de verdad en Argentina, Chile, Perú, Timor East y Sierra Leona, consistió en justificar moralmente el intercambio de la justicia retributiva por la verdad. Para hacer esto sus defensores mostraron que existen bienes morales como la reconciliación social y el establecimiento de la verdad histórica que son equiparables al bien moral de la justicia retributiva (Tutu, 1999).

En una sociedad que avanza hacia el post-conflicto es necesario plantear que, tras el fin de las negociaciones entre el gobierno y los actores armados, se debe conformar una comisión de la verdad que pueda hacer viable lo que en otros países se denominó un intercambio de la justicia centrada en el pasado por una centrada en el futuro. Para esta comisión, el asunto de la concesión de la amnistía a los miembros de las organizaciones rebeldes debe estar enmarcado en los instrumentos de justicia transicional. El Estado en las acciones de juzgamiento, proferidas en el marco de una comisión de la verdad, debe poder suspender la ejecución de penas, aplicar sanciones extrajudiciales y establecer penas alternativas bajo el aspecto recíproco del cumplimiento de condiciones tales como la dejación de las armas, la contribución al esclarecimiento de la verdad, la reparación integral de las víctimas, la liberación de los secuestrados y el reconocimiento de la responsabilidad de los autores de actos criminales. Para una sociedad en transición constituye por tanto una prioridad política insistir en procesos de reconocimiento público de las atrocidades políticas y de las violaciones de los derechos humanos.

Olvidar no es una buena estrategia para sociedades que transiten hacia la consolidación de instituciones democráticas o que busquen la paz. Fallar en no reconocer las injusticias del pasado conduce a las sociedades a producir ciclos de desconfianza, odio y violencia. El propósito de recordar públicamente daños específicos es hacer que los perpetradores admitan el conocimiento y asuman la responsabilidad por los crímenes cometidos por ellos. Así, el reconocimiento de que se cometieron graves daños en el pasado, que mucha gente fue severamente victimizada y que individuos, grupos y comunidades enteras han sido identificados como responsables por esos crímenes, hace posible la restauración de la dignidad humana y civil de las víctimas, el surgimiento de un nuevo orden moral y político; y esto da a las víctimas la confianza requerida para entrar como participantes normales del orden político emergente. De todo esto se sigue que no debe ser sobreestimado el efecto restaurativo de la amnistía, ni subestimado el poder reconciliador de la justicia penal. La cuestión de cómo hacer frente a los crímenes y autores de un antiguo régimen o de un conflicto armado interno es demasiado difícil y compleja como para darle soluciones fáciles y rápidas. Toda transición es diferente y requiere tomar en consideración las circunstancias particulares de cada proceso de transición.

19 Nº 624, UNIVERSIDAD DE ANTIOQUIA Medellín, septiembre de 2013
Foto cortesía Periódico El Colombiano

Participación y acción política

Ahora que se pone sobre la mesa de negociación de La Habana entre el Gobierno y las Farc el tema de la participación política de aquellos que se desmovilicen de este grupo subversivo, conviene referirse al tema, toda vez que sobre el mismo parece olvidarse algunos aspectos que vale la pena tener en cuenta en este momento trascendental de nuestra sociedad.

Para nadie es un secreto (así frecuentemente se pretenda disimularlo) que la Constitución Política de 1991 se construyó sobre la base de la democracia participativa que no elimina plenamente la democracia representativa sino que la incluye, exige una mayor inclusión de todos los ciudadanos en la toma de decisiones. En ese sentido es bastante ilustrativo el preámbulo constitucional y luego los artículos 1, 2 y 3:

Artículo 1o. Colombia es un Estado social de Derecho, organizado en forma de República unitaria, descentralizada, con autonomía de sus entidades territoriales, democrática, participativa y pluralista, fundada en el respeto de la dignidad humana, en el trabajo y la solidaridad de las personas que la integran y en la prevalencia del interés general.

Artículo 2o. Son fines esenciales del Estado: servir a la comunidad, promover la prosperidad general y garantizar la efectividad de los principios, derechos y deberes consagrados en la Constitución; facilitar la participación de todos en las decisiones que los afectan y en la vida económica, política, administrativa y cultural de la Nación; defender la independencia nacional, mantener la integridad territorial y asegurar la convivencia pacífica y la vigencia de un orden justo.

Las autoridades de la República están instituidas para proteger a todas las personas residentes en Colombia, en su vida, honra, bienes, creencias, y demás derechos y libertades, y para asegurar el cumplimiento de los deberes sociales del Estado y de los particulares.

Artículo 3o. La soberanía reside exclusivamente en el pueblo, del cual emana el poder público. El pueblo la ejerce en forma directa o por medio de sus representantes, en los términos que la Constitución establece. Posteriormente, el artículo 40, ya dentro de los derechos fundamentales, relaciona los derechos políticos de la siguiente manera:

Artículo 40. Todo ciudadano tiene derecho a participar en la

conformación, ejercicio y control del poder político. (...) De grandes críticas en esta materia fue objeto la Constitución de 1886 ya que su artículo 2º producía una grave separación entre el pueblo, esto es, entre los ciudadanos, y sus representantes. Estos últimos asumían plenamente los poderes de la Nación ante la imposibilidad de la misma de actuar en forma directa. Además, el colectivo nacional se entendía que actuaba directamente cuando lo hacían sus representantes. Ninguna norma en esa Constitución Nacional (no Política, como se solía decir) reconocía derechos políticos de ciudadanía, ni partía de la base de que los ciudadanos, de manera individual, fueran titulares de una porción de la soberanía. Ello permitió que esa Constitución dejara de reconocer la voluntad de acción política y el deseo de participar en la toma de decisiones por parte de los ciudadanos. Estos, si es que realmente lo eran, con significativas precariedades, eran consultados cada que era necesario elegir algunos representantes. Por ejemplo, el artículo 172 establecía que los ciudadanos elegían de modo directo consejeros municipales y diputados a las asambleas departamentales, mientras el artículo 173 se refería al voto censitario1 para la designación de electores y representantes. Las asambleas electorales se encargaban de la elección de presidente y vicepresidente de la República, según lo establecía el artículo 174. Los senadores eran elegidos no por la ciudadanía, sino por las asambleas departamentales. A los alcaldes municipales los nombraba el gobernador del departamento, del cual eran sus agentes y estos, a su vez, eran designados por el presidente de la República. Por último, tal como se establecía en el artículo 179 de la Constitución de 1886, el voto no era considerado un derecho, como ocurre hoy, sino solo como una función y ello implicaba que no todo el mundo pudiera ejercerla (de hecho, no todo el mundo podía hacerlo, por la limitaciones derivadas del hecho de que el voto era censitario o capacitario2) y, además, al ser una función, con facilidad era entendido como una concesión, como un beneficio que se concedía a unos cuantos, no como un derecho o como algo naturalmente ligado a la condición de ciudadano o, mejor aún, a la condición de nacional colombiano. Era evidente la precariedad política en la que se encontraba el ciudadano al que, por lo demás, esta denominación, usada con frecuencia en los textos de esa Constitución, le era realmente contradictoria, o por lo menos le “quedaba grande” ante la situación que realmente ostentaba

el nacional colombiano en vigencia de esa normativa. La Constitución de 1991 pretendió superar esa situación precaria de ciudadanía y para ello introdujo, entre otras, las normas que se citan, que reconoció mayor participación política, fundó la soberanía en el pueblo, reconoció derechos políticos y fortaleció los mecanismos de participación3

Vale la pena hacer una aclaración: desde el punto de vista jurídico, para ser ciudadano hoy se requiere ser nacional colombiano y contar con, al menos, 18 años de edad que hoy es la edad mínima legal para ejercer la ciudadanía. Existen motivos que generan la suspensión de la ciudadanía (según se refiere en el art. 98 de la C.P.) y por tanto de algunos de los derechos políticos, como es el caso del ejercicio de funciones públicas a las personas condenadas por delitos, según reglamentación legal. No obstante, se debe hacer la diferenciación entre la capacidad jurídica del ciudadano y la capacidad política propiamente dicha. La primera se somete a condiciones constitucionales y legales, como las expresadas. La segunda, creemos que es más amplia, ya que, si bien el Estado a través de su ordenamiento jurídico no la reconoce, por lo menos la mera condición de persona y de persona con uso de razón especialmente, le permite realizar acciones reconocidas como políticas (algunas denominadas por Vallès4 como acciones políticas no convencionales) sin requisito alguno de carácter jurídico.

Esto permite decir que una persona suspendida en el ejercicio de la ciudadanía, jurídicamente hablando, o inclusive un menor de edad, de todas maneras podrá asistir a una marcha o en una reunión política, apoyar candidatos y financiarlos, pintar grafitis, opinar, hacer solicitudes respetuosas a las autoridades y, en fin, podrá realizar acciones políticas, así no esté incluida dentro de las personas jurídicamente habilitadas como ciudadano en el contexto de un Estado particular como el colombiano.

Esto significa que muchos que hoy pueden considerarse jurídicamente excluidos de la participación política, o mejor, de la acción política convencional, pueden ser considerados como actores políticos y en últimas como ciudadanos, políticamente hablando, así no se les reconozca jurídicamente su posibilidad de acción política por haber sido, por ejemplo, condenados por delitos de cualquier naturaleza, incluidos los de tipo político. Por lo demás, muchas personas son actores políticos sin que se les reconozca esa condición; puede ser

porque no les conviene o no les interesa, o porque hasta les avergüenza y de esa forma pretenden “mantenerse al margen” o “por encima” de la política.

Fuertes discusiones se plantean hoy sobre la posibilidad de que algunos miembros de la guerrilla en negociación con el Gobierno lleguen a integrar cuerpos colegiados como los concejos municipales, las asambleas departamentales y el Congreso. Es un asunto de difícil discusión, pero que resulta esencial para las aspiraciones de paz que hoy existen en nuestro país. Se debe mirar con mente abierta esa posibilidad, pues en últimas el conflicto armado tiene unas bases económicas por la desigualdad en la distribución de la riqueza nacional que ha existido en Colombia secularmente, y también unas bases políticas que, no se olvide, la Constitución de 1991 trató de disminuir al ampliar la participación política. La democracia, podría decirse, lo mismo que la paz, tienen sus costos. Por eso debemos abrir nuestros espíritus para que sea viable, no solamente el acuerdo de paz con inclusión económica y política, sino para que su ejecución nos lleve a ver en la acción política convencional personas que hoy están preferentemente en las acciones políticas no convencionales. El pueblo colombiano, sus dirigentes y los grupos en conflicto se la deben jugar a fondo para encontrar la salida real al problema político y económico que afecta la tranquilidad de los colombianos desde hace muchos años. Otros países lo han logrado. Nosotros también podemos. Tiene razón el ex constituyente Navarro Wolf cuando afirmó en reciente conferencia en nuestra institución dentro de la cátedra Héctor Abad Gómez el pasado 8 de agosto: “La participación política es el corazón de una paz negociada”. Es ahí donde se discute buena parte de la paz en Colombia.

Notas

1. El voto de aquellos que, por tener una determinada renta anual o un determinado patrimonio pagaban impuestos y por lo tanto hacían parte del censo.

2. Se requería saber leer y escribir, al menos, para el ejercicio de la ciudadanía a través del voto.

3. Sobre ello pueden citarse no solamente los artículos 103 a 106 de la Constitución Política sobre los mecanismos de participación ciudadana, desarrollados por las leyes estatutarias 131 y 134 de 1994, sino los artículos 107 a 111 sobre los partidos y los movimientos políticos, tema desarrollado por la ley estatutaria 130 de 1994.

4. Vallès, Josep M. “Ciencia política. una introducción”. Editorial Ariel. Barcelona. 7ª edición. 2008. Pág. 334 y ss.

20 Nº 624, UNIVERSIDAD
DE ANTIOQUIA Medellín, septiembre de 2013

Reindustrializar a partir de las fortalezas agrícolas y de servicios como la salud y la cultura, y concentrar la atención en la reducción de la desigualdad, son dos de los objetivos más importantes que debe acometerse en la economía colombiana, según el economista José Antonio Ocampo Gaviria, quien en la charla El desarrollo económico de Colombia y la contribución de Antioquia realizó un

“Estamos

La economía colombiana en perspectiva

recorrido por la economía de Colombia y Antioquia en los últimos 200 años. En la primera mitad del siglo dieciocho —dijo el exministro de agricultura y de hacienda invitado a la cátedra pública el 9 de agosto en el Paraninfo— Antioquia surgió como nuevo centro económico debido al dinamismo gracias a la minería de oro, que se constituyó en la gran fuente del desarrollo antioqueño al igual que de la reorganización del comercio de importación por el restablecimiento de relaciones comerciales internacionales. Ya en el siglo diecinueve —continuó— se dio el mayor crecimiento económico por cierto éxito político marcado por el federalismo y la expansión económica de Colombia por las liberaciones de monopolios. El siglo veinte a diferencia del siglo diecinueve —observó Ocampo Gaviria— fue de un crecimiento sostenido y relativamente estable, a pesar de los grandes ciclos donde se dio el auge cafetero y el desarrollo de industrias como la textil. Después de 1930 —sostuvo—

Colombia tuvo un avance en el fortalecimiento de las instituciones de intervención estatal, a lo que se debe el desarrollo de este periodo; hacia los años 60 se comenzaron a realizar nuevas actividades exportadoras gracias a la diversificación productiva.

“Después de la apertura de 1991, la industria perdió participación en el PIB, lo que en mi opinión es la causa del lento crecimiento económico a comparación de otros periodos”, dijo.

Para el exsecretario de la Cepal, la etapa actual de la economía colombiana está marcada por un modelo energético minero, con coyunturas como la crisis agraria que se ha expresado en los últimos dos años, las concesiones mineras y la posibilidad de un proceso de paz así como un posconflicto.

Posconflicto

Otro de los aspectos por los cuales podría estar marcada la economía y el desarrollo del país es el proceso de paz que está en curso, que de llevarse a cabo, obligaría a pensar en el posconflicto.

Ocampo afirmó apoyar ciento por ciento al gobierno en el proceso de paz. “Aunque tengo algunas

empezando otra generación de

Analfabetos de la paz graduados en la guerra. Así se podría definir a las generaciones actuales, las que hacen parte del conflicto colombiano que inició en el siglo XIX y aún no acaba; las mismas que tendrán que hacer la transición con las venideras, y entender las claves de la paz en medio de los fuegos y la esperanza de salvarnos de la sentencia del escritor William Yates: “un sacrificio demasiado largo puede cambiar en piedra un corazón”.

Según Antonio Navarro Wolff, invitado en agosto a la Cátedra Héctor Abad Gómez, entre 1948 y 1957 el conflicto entre liberales y conservadores causó, en nueve años, 300.000 muertos, cuando la población no pasaba de 10

cambio”

millones, y según la Comisión de Memoria Histórica entre 1958 y 1993 fueron 220.000 los muertos; de ahí que la importancia de construir la paz radica en entender qué ha pasado, dice el exintegrante del desmovilizado M-19.

El exconstituyente de 1991 advierte que el conflicto que vivimos tiene profundas raíces históricas y una violencia que no empezó con las actuales guerrillas. Según él, la primera generación es una generación que participó del alzamiento armado como una forma de dirimir las diferencias políticas.

“Cuando el M-19 nació había tres guerrillas. Después vinieron el Partido Revolucionario de los Trabajadores y el Movimiento Armado Quintín Lame”, Desde ahí, a su criterio, se dio comienzo a la generación de la transición con la negociación de finales de los ochentas y con el Movimiento 19 de abril luego. “Esa fue la solución

críticas a la política económica de este gobierno creo que la reparación de víctimas que es previo al proceso de paz es la ley más importante que se ha aprobado en este gobierno”, pues lo que se haga para el desarrollo rural mediante los instrumentos que se desarrollan a partir del proceso de paz, quizás sea lo más importante para comenzar a reducir las desigualdades en Colombia que tienen unos diferenciales urbanos rurales muy marcados.

Por esto, agregó, el posconflicto bien manejado es la gran oportunidad económica. “La mayor equidad es una fuente importante de desarrollo, entonces por tanto quiero que eso se materialice y tenga efectos económicos positivos”.

Según el exministro, Colombia está rezagado en la capacidad de superar las desigualdades a comparación de otros países de Latinoamérica que han avanzado en este sentido, debido al contraste urbano rural. “Esto ha impedido que muchos de los otros procesos que han beneficiado una reducción de la desigualdad urbana no se refleje a nivel nacional”. Por eso, es necesario agregarle a los derechos sociales una lucha directa contra la desigualdad, concluyó.

jurídica que permitió la participación política, con amnistía general y sin condiciones”, afirma.

Después, agrega, ya no hubo amnistía, sino indulto —de hecho, integrantes del EPL siguieron presos porque tenían penas por secuestro—, pero se encontraron caminos para que las cabezas de los grupos que habían firmado la paz pudieran participar en política. “Estamos empezando otra generación del cambio de la historia de Colombia, esa es la importancia de este proceso”, afirma, y plantea que hay dos maneras de resolver el conflicto, derrotando

al contrincante, o por la vía de las negociaciones con concesiones y acuerdos; por esta última vía, asegura, se ha puesto final a la mayoría de conflictos en el mundo.

Hoy, sin embargo, hay que considerar que el escenario es más complejo que hace 20 años, por las víctimas que piden justicia, el marco jurídico para la paz, que aunque busca flexibilizar algunas condiciones pone cortapisas a los desmanes de los victimarios, la justicia transicional que busca llegar a la paz pero con justicia, las alternativas de participación política para quienes firmen los acuerdos de paz.

21 Nº
624, UNIVERSIDAD DE ANTIOQUIA Medellín, septiembre de 2013 Foto Luis Javier Londoño Balbín

Nº 624, UNIVERSIDAD DE ANTIOQUIA Medellín, septiembre de 2013

EL ROL DE LOS ACADÉMICOS

Digerir discursos para construir discurso

Docente

Perfilar el papel del académico frente a un proceso de paz, y en medio de una imparable confrontación armada, tal como se están dando hoy los diálogos entre el gobierno nacional y las Farc, es tan complicado como definir la cuadratura del círculo. Tal afirmación se sustenta en el hecho de que la misión de dicho profesional —que también podríamos llamar intelectual— no tiene un carácter transhistórico sino que, por el contrario, responde a un contexto determinado. En otras palabras, la misión del académico no solo se inscribe dentro de una realidad social, económica y política concreta, sino que además cumple unos roles específicos. Y en una aparente paradoja, sucede que dicho académico, al lanzarse al ruedo de lo público, el mismo en el cual irrumpen y discurren los conflictos que habrán de concentrar su atención y sus esfuerzos analíticos y propositivos, debe despojarse del ropaje de los asuntos específicos, propios, por ejemplo, de su disciplina, y vestirse con el atuendo de los temas que inciden en el presente y en el futuro de la generalidad de los ciudadanos, incluyendo, como es de suponer, la relación de estos con el Estado. Pero no podríamos avanzar en este ejercicio inquisitivo sobre la responsabilidad del académico frente a coyunturas reconciliadoras como esta de la solución política negociada, sin aludir a la tarea que puede cumplir la palabra cuando las contradicciones se tramitan por la vía de la confrontación bélica. Pero antes de adelantar la debida caracterización es preciso llamar la atención sobre el antecedente adverso que históricamente hemos arrastrado, consistente en invocar o prometer el uso de la palabra como mecanismo civilizatorio a la hora de resolver un conflicto, sea cual sea su naturaleza, pero dilatando al final el procedimiento y dando paso, con su actitud, a la acción violenta de la parte reclamante al sentirse engañada. El académico colombiano, en las condiciones actuales de los diálogos de paz, está abocado a devolverle a la palabra no solo su credibilidad sino también su eficacia, porque con ello se irán creando las condiciones que permitirán que el acto de comunicar —intercambiar sentidos e intereses para llegar a transacciones—, propicie los esperados cambios, los mismos

que se han estado buscando por el camino de las armas. Es por ello que afirmamos que el académico debe superar el marco limitado de su saber específico y llegar hasta el ámbito del interés público, el espacio en el cual aquel toma partido desde y por su condición de intelectual.

Porque hablar de la toma de partido, por parte del académico, es concebir a alguien que, como lo dicen algunos pensadores, es capaz de dejar la pluma y encarnar públicamente los principios de la justicia, siendo capaz, incluso, de entrar en contradicción con la denominada razón de Estado. Recordemos no más a Jean Paul Sartre, quien relegó su condición de hombre de teatro, de escritor y filósofo, para adoptar el papel del intelectual que defiende lo universal y corporiza la justicia. Reflexiones como estas han sido adelantadas por el historiador y filósofo de la historia, Françoise Dosse, de la Universidad París XII. El momento presente de nuestra realidad social, económica, política y cultural, marcada por la esperan-

Ilustración Juan Andrés Álvarez Castaño

zadora posibilidad de un acuerdo que ponga fin al desangre histórico que por décadas nos ha inundado, les plantea a los intelectuales tareas y posturas estratégicas de inaplazable cumplimiento. Veamos algunas:

—Ayudar a digerir, con sentido pedagógico, los puntos de vista y las propuestas de los actores reunidos en la mesa de conversaciones, lo mismo que los de los sectores cercanos a unos y otros, ejercicio que los convierte en una suerte de orientadores y forjadores de la opinión pública que haya de surgir de dicho proceso.

—Marchar adelante de los acontecimientos, buscando, de una parte, contribuir con el avance del proceso reconciliador, y, por otra, alertar desde el pensamiento los intentos distractores de quienes no están interesados en la marcha del plan, tal como ha sido acordada por los actores de la negociación.

Los pasos antes enunciados deben ser dados por el académico, basado, de un lado, en la razón y su capacidad de discernimiento, y por otro en un recurso cogni-

tivo tan importante como es la intuición, entendida como esa capacidad que tiene el ser humano de visualizar los hechos y sus desarrollos a partir de lo que los sentidos le permiten detectar.

Asumir su papel de académico, pero sin caer en la imagen del llamado “intelectual de la sospecha”, tal como lo denominan analistas como el filósofo francés Paul Ricoeur, según los cuales no todo lo que hacen y piensan los otros tiene que ser motivo de sospecha; se trata, por tanto, de asumir una actitud inteligible frente a estos actores de la realidad que se está analizando. En otras palabras, podemos hablar de la existencia de un académico con una postura democrática, o sea una posición que se mueve entre el laboratorio, su campo habitual de experimentación, y la divulgación, la proyección del resultado de su tarea académica.

Mirando de cara a nuestro pasado, al presente y al propio futuro, el académico de hoy debe reivindicar el papel de la memoria al proyectar la misión que ha de cumplir el acuerdo de paz que pueda lograrse entre los actores armados en nuestro país. Y dicha memoria debe tener como equivalente la figura de la nación, porque esta última debe entenderse, precisamente, como la memoria común de que disponemos para vivir juntos.

La realidad colombiana nos muestra, de manera irónica o paradójica, que la unidad lograda a través de nuestra historia ha estado marcada por la propia guerra, tal como lo enuncia el francés Ernest Renan cuando él se preguntaba por el significado de una nación. La paradoja está presente, en este caso, en el hecho de que así como debe adelantarse un trabajo de rescate de la memoria, también es cierto que la nación se afianza sobre el olvido de esa misma memoria. He ahí la dificultad de alcanzar, a partir de semejante equilibrio, ese espíritu de nación. He aquí, también, un nuevo reto para el académico. Ese mismo académico, o intelectual, respecto al complejo contexto que afronta hoy nuestro país, debe estar claro frente al hecho de que el trabajo por la memoria histórica es permanente y, por tanto, este no se agota con la expedición de una ley.

El académico colombiano, en las condiciones actuales de los diálogos de paz, está abocado a devolverle a la palabra no solo su credibilidad sino también su eficacia, porque con ello se irán creando las condiciones que permitirán que el acto de comunicar —intercambiar sentidos e intereses para llegar a transacciones—, propicie los esperados cambios, los mismos que se han estado buscando por el camino de las armas. 22

Una misión clave del académico, al momento de pensar en los avances y desenlaces del actual proceso de paz, parafraseando a Michel de Certeau y la tarea de rescate de la memoria por parte del historiador, acto vital en una sociedad desangrada como la nuestra, es la de construir tumbas para los muertos, honrar a estos y darles un lugar donde puedan conservarse.

Profesor Instituto de Estudios Regionales Sociólogo- Doctor en Educación

Hoy, cuando las protestas campesinas y mineras están en primer plano de los medios de comunicación, se puede recordar que hace dos años eran los estudiantes y su protesta contra de la reforma de la ley 30 de educación superior los que tenían el protagonismo. Muchos análisis políticos y sociológicos se pueden hacer de esas protestas de hace dos años, por ejemplo que significaron un triunfo para los estudiantes porque el gobierno retiró su propuesta de reforma, lo cual permite hablar de la reactivación del movimiento estudiantil. Sin embargo, tanto de las protestas de hace dos años como de las que por estos días vemos por televisión, poco conocemos desde una perspectiva situada y desde los sujetos mismos, lo cual interesó a un grupo de investigadores que se hicieron la pregunta ¿qué significó esa situación de las protestas estudiantiles de 2011 y 2012 en la Universidad de Antioquia? De lo cual se derivó otra cuestión ¿cómo se forman políticamente los estudiantes en el espacio universitario? Para abordar estas preguntas se desarrolló una investigación1, que entre otras cosa permitió identificar la construcción discursiva que tienen los estudiantes de sí mismos como sujetos políticos2

lo cual aporta a la crítica de las posiciones de actores universitarios que en nombre de un rescate de lo político en la universidad, terminan cooptado su significado y enclaustrando a los sujetos en un tipo de significaciones predeterminadas. Lo sucedido en la universidad en las protestas de 2011 y 2012 sirvieron de medio de contraste para que los estudiantes vieran con nitidez que sobre ellos mismos se construye un discurso que hemos denominado esencialista, que grosso modo se configura argumentativamente entendiendo que los estudiantes universitarios tienen un lugar fijo definido por el tiempo: primero, cuando ingresan a la universidad son no sujetos, son a-políticos o des-politizados, menores de edad en un sentido kantiano y más bien son una potencia, una posibilidad que emerge cunado se dan cuenta de la realidad, que sería el segundo momento. En esta idea, la universidad conduce al otro, le permite el paso temporal de ser un sujeto a-político a otro momento de ser propiamente político; permite llevar a los sujetos de la minoría a la mayoría de edad, de espectadores a actores. Es una posición esencialista porque ve que los estudiantes llegan a ser alguien cuando ocupan su tiempo y su lugar, asumiendo su identidad histórica, como si tuvieran una segunda naturaleza por descubrir. El estudiante como una esencia es una posición discursiva que los mismos estudiantes identifican con el discurso que defiende la acción de la protesta violenta,

que comúnmente es asociada con los encapuchados, incluso con la asamblea de estudiantes. En esa configuración, al estudiante hay que “obligarlo a ver la realidad”, “a los estudiantes hay que educarlos a las buenas o las malas”, “si los argumentos no escuchan, con las papas bombas lo harán”. En este tipo de discursos los sujetos son o no son políticos en función que vean o no vean la verdadera realidad. Lo más paradójico y significativo es que los estudiantes que participaron de la investigación identifican que el discurso esencialista del estudiante también está presente en el proyecto que representan las directivas universitarias, que también sitúa al sujeto en un tiempo determinado. En ese discurso, unos están en un tiempo de barbarie, los encapuchados y los que “paralizan” a la universidad, y otros en el tiempo de la razón, que es el verdadero tiempo del universitario. Lo anterior implica que los estudiantes ven una cadena de equivalencia entre el proyecto de universidad que representan los encapuchados y el proyecto de las directivas universitarias, en tanto ambas tienen una construcción esencialista del estudiante universitario.

Pero la investigación identificó que si bien los estudiantes hacen inteligible esas posiciones discursivas y esas equivalencias, éstas no suturan la discusión ni le confieren la totalidad al significado de lo político en la universidad; y en contingencias como las protestas de 2011 y 2012 emergen otras posiciones discursivas que

ven un sujeto político situado que rompe con la idea que en la universidad los estudiantes se ubican en un bando o en otro, o que los ve como actores o como espectadores. En esta otra construcción discursiva del estudiante universitario como sujeto político el estudiante no es un producto sino un proceso, un devenir en la contingencia que es el espacio universitario. Esta, la universidad, no es la inmanencia histórica sino la potencia del espacio que se configura como un perfomance, en la cual van fluyendo subjetividades sin libreto, sin estructura, y en tanto performance, los sujetos van entrando y saliendo del espacio formativo, por eso a veces son actores y a veces son espectadores, y es en esa misma relación que se redefine lo político y los sujetos.

Notas

1. Investigación “Constitución de las subjetividades políticas de los estudiantes universitarios desde la formación ciudadana y el proyecto político de universidad. Análisis del discurso de los estudiantes”, financiada por CODI. Investigador principal: Alejandro Pimienta Betancur (INER). Co-investigadores: Ruth Quiroz Posada (Facultad de Educación), Alejandro Mesa Arango (Escuela de Microbiología), María Nieto e Irene Piedrahita (INER).

2. El estudio se realizó con la estrategia de análisis político del discurso en cuatro pregrados: Periodismo, Licenciatura en educación básica con énfasis en ciencias sociales, Microbiología y bioanálisis y Sociología (seccional oriente). Se realizaron 20 entrevistas a docentes, 10 entrevista en profundidad a estudiantes y 12 talleres con estudiantes.

23
Nº 624, UNIVERSIDAD DE ANTIOQUIA Medellín, septiembre de 2013 Foto Archivo Periódico ALMA MATER

Han pasado tres meses luego de que se declarara la emergencia carcelaria debido a la situación que se vive en los centros de reclusión del país. A pesar de todas las medidas tomadas por el gobierno, la sobrepoblación y vulneración de derechos en estos establecimientos no disminuyen.

El Defensor del Pueblo, Jorge Armando Otálora, pidió a la Corte Constitucional revisar y estudiar la situación, para enfrentar los problemas del sistema penitenciario y carcelario, pues es innegable que el país enfrenta una crisis y es necesaria una revisión estructural.

En la misma dirección, el profesor de la Facultad de Derecho y Ciencias Políticas de la Universidad de Antioquia Juan David Posada Segura, quien recientemente presentó los resultados de una investigación sobre la situación de derechos humanos en los principales centros carcelarios y penitenciarios de Medellín, explica que las medidas para solucionar la crisis –como la construcción de más establecimientos penitenciarios y carcelarios– no son suficientes.

Para él lo más preocupante es la vulneración de derechos. Según el abogado, este no es un asunto coyuntural, sino una constante.

La crisis carcelaria, un problema estructural

Centros carcelarios y centros penitenciarios

Julio González, profesor de la misma Facultad, explica que existen reglas y disposiciones de la ley penal penitenciaria que exigen a los establecimientos carcelarios clasificar a quienes ingresan a ellos.

Según el docente, se deben tener en cuenta algunos parámetros, como separar a los menores de los mayores de edad, a los hombres de las mujeres, o según su peligrosidad.

En Colombia sí se respetan alguna de estas clasificaciones, sin embargo, existen otras que no, como separar a las personas condenadas de quienes se están procesando.

Por lo anterior es que en nuestro país se habla de establecimientos carcelarios y penitenciarios. A los centros carcelarios deberían ir las personas que están siendo procesadas, y a los centros penitenciarios, quienes ya están condenadas. Sin embargo, en este momento no se están haciendo estas distinciones, lo que facilita la vulneración de derechos.

El estatus jurídico de quién está condenado y de quien está detenido preventivamente – explica González– es muy diferente, por tanto,

juntarlos en un mismo sitio implica darle un tratamiento a una persona no condenada como sí ya lo fuera y en ese caso la medida preventiva de detención mientras se adelanta el proceso estaría operando como una pena anticipada.

“Nunca ha habido en las cárceles, aparte de los funcionarios de custodia, funcionarios con capacidad para hacer clasificaciones, ni programas de resocialización”, asegura González, y añade que en Colombia lo que existe es un encierro masivo e indiscriminado.

Hacinamiento

En Colombia, la privación de la libertad va en aumento, y eso sin considerar con la modificación o expedición de nuevas leyes que endurecen algunos tiempos o delitos. Por otra parte, el sistema carcelario no cuenta con el personal suficiente, lo que ha llevado, por ejemplo, a que algunos internos que ya han cumplido con los tiempos establecidos por la ley para acceder a algunos derechos como libertad condicional o prisión domiciliaria, no puedan acceder a ellos por falta de personal cualificado para estudiar sus casos. Lo que se traduce en más personas en las cárceles y penitenciarías.

El principal problema de la sobrepoblación, según el profesor Juan David Posada, es que agudiza la violación de derechos humanos, ya que puede ocasionar que mientras algunos servicios de la administración penitenciaria podrían prestarse en relativas condiciones de dignidad estando la población que debe estar, en condiciones de hacinamiento eso desaparece.

Para Juan Gonzalo Escobar, profesor de la Universidad de Girona, España, e invitado al foro sobre prisiones llevado a cabo en agosto en Medellín, es importante tener en cuenta que las prisiones son un “reflejo, una microrradiografía” de la sociedad, es decir, una aproximación a las prisiones permite ver determinados detalles sociales, económicos y hasta políticos para explicar por qué las condiciones en estos establecimientos no cambian. Escobar hace un llamado para entender que si las cárceles son un reflejo de la sociedad, es necesario resolver primero los problemas afuera de modo que no se reproduzcan dentro de las prisiones. “No construyamos más colombias pequeñitas. Comencemos a pensar en nuestra sociedad y en cómo arreglar estos problemas sin recurrir a encierro” concluye.

24
Nº 624, UNIVERSIDAD DE ANTIOQUIA Medellín, septiembre de 2013 Foto cortesía Periódico El Colombiano

Asoprudea. Asociación de Profesores de la Universidad de Antioquia. Ciudad Universitaria. Bloque 22, oficina 107. Teléfono 2195360. Fax 2636106 • http//Asoprudea.udea.edu.co • La columna “Ágora” es responsabilidad de Asoprudea.

Academia, democracia, participación, debate

y reflexión: bitácora de la nueva junta directiva de Asoprudea

El 17 de julio de 2013 se llevó a cabo la Asamblea de Delegados de la Asociación de Profesores de la Universidad de Antioquia con el propósito de elegir la nueva junta para el período 2013-2014. Los resultados de la votación fueron los siguientes: por la plancha Nº 1: 28 votos, con los cuales obtuvieron los primeros cuatro renglones de su lista. Plancha Nº 2: 24 votos, que dieron lugar a los tres primeros renglones de su lista. Además de 2 votos en blanco y uno nulo. Para un total de 55 votos de 65 delegados habilitados.

En la primera reunión de junta del 22 de julio se procedió al nombramiento de los dignatarios mediante aprobación unánime, así: presidenta: María Rocío Bedoya Bedoya; vicepresidenta: María Cecilia Plested Álvarez; secretario: Jorge Aristizábal Ossa; tesorero: Walter Santos Abello; vocales principales: María Eugenia Villa Sepúlveda, Marco Antonio Vélez Vélez y José Joaquín García García. Las suplencias en su respectivo orden quedaron a cargo de Sara Yaneth Fernández Moreno, Marta Luz Ramírez Franco, Efraín Oviedo Regino, Auxilio Ramírez Pérez, Darío Gil Torres, Didier Álvarez Zapata y Carlos Arturo Morales Vallecilla.

La presidenta de la junta directiva, María Rocío Bedoya Bedoya, considera que en este nuevo período es fundamental apoyar y garantizar la continuidad de los debates académicos que la Asociación viene liderando en pro de la defensa de la Universidad como institución pública de educación superior, en proyectos como la ley alternativa de educación superior liderada por la Mane y el proceso de transformación institucional, desde la Mesa Multiestamentaria de Análisis de la Transformación Institucional (MMATI). De igual manera, es de la mayor importancia comprometer acciones orientadas al estudio y construcción colectiva de la propuesta de reforma del Estatuto Profesoral. Si bien actualmente existe una propuesta formulada por una comisión liderada por miembros

...es cada vez más apremiante la necesidad de repensar el papel de los claustros y las asambleas como espacios de formación política y debate académico para pensar la Universidad, su función social, el sentido de lo público y el papel de los profesores en ella; así como las formas de desarrollar desde el profesorado y en su práctica gremial la veeduría universitaria.

del equipo directivo, es necesario que los profesores participemos de manera activa y comprometida en su estudio y revisión, en aras de garantizar consensos y plenas garantías para el profesorado.

La realización de estos proyectos precisa de “auténticos procesos democráticos y de participación” de los distintos estamentos al interior de la Universidad, como condición indispensable para el cumplimiento de los principios orientadores de la vida universitaria y, de manera más específica, del gobierno universitario. Así mismo, es necesario establecer desde la Asociación de Profesores un plan de acción orientado hacia la dignificación de la profesión docente en la Universidad y el mejoramiento de las condiciones y derechos laborales. En esta dirección, la junta saliente solicitó a los profesores Fernando Tobón y Remberto Rehnals la realización de un estudio salarial comparado entre las universidades públicas de carácter estatal por mandato de la asamblea de profesores de finales de 2012. Tarea que seguiremos apoyando en la nueva junta. La profesora María Rocío Bedoya considera que es fundamental trabajar por una nueva cultura que resignifique el trabajo gremial de los profesores en la Universidad, enfatizando en nuestra labor como académicos y recuperando el valor del trabajo colectivo que día a día se dificulta en medio de un modelo de Universidad que nos convoca a “producir y producir” y nos hace cada vez

más individualistas. Bajo este modelo de universidad es cada vez más apremiante la necesidad de repensar el papel de los claustros y las asambleas como espacios de formación política y debate académico para pensar la Universidad, su función social, el sentido de lo público y el papel de los profesores en ella; así como las formas de desarrollar desde el profesorado y en su práctica gremial la veeduría universitaria. El marco programático que en estas breves líneas se ha planteado incluye, además, por mandato de la asamblea de delegados realizada el 17 de julio, la reforma del estatuto que rige actualmente a la Asociación, cuyo propósito contempla entre otros: democratizar los procesos de participación y elección de los miembros de la junta directiva, reelección por un solo período de los dignatarios, aumento del período de junta, modernización de los mecanismos de votación, flexibilización del mecanismo de reforma de los estatutos, entre otros aspectos de interés. Invitamos a todos los profesores y profesoras de la Universidad de Antioquia a vincularse de diferentes maneras, en los debates y reflexiones de los ejes propuestos y a aportar nuevas iniciativas que contribuyan al fortalecimiento del estamento profesoral y sus formas organizativas gremiales. Desde este espacio defendemos la universidad pública y su importante función desde la educación superior para la región y para el país.

25
Nº 624, UNIVERSIDAD DE ANTIOQUIA Medellín, septiembre de 2013

Clínica León XIII moderniza atención a los pacientes

Como una muestra del compromiso de la Universidad de Antioquia y la IPS Universitaria con la atención de calidad a quienes consultan en la Clínica León XIII, desde agosto fueron puestas en funcionamiento 29 camas eléctricas en habitaciones individuales en un piso que cumple con las especificaciones de los mejores del mundo.

Las habitaciones, ubicadas en el piso 3 del bloque 1 de la Clínica, ofrecen mayor comodidad y confort y, por consiguiente, mejor tiempo de recuperación a pacientes hospitalizados.

Jaime Poveda Velandia, director de la IPS Universitaria, dijo que “estamos abriendo un nuevo piso de hospitalización en el que le presentamos al país las habitaciones individuales más confortables que hay en la ciudad”.

La inversión supera los 4 mil millones de pesos, 3.600 millones de los cuales se invirtieron en obras físicas y los restantes en la dotación hospitalaria. Tras nueve meses de trabajo la obra se estrenó y ha sido muy bien aceptada por los usuarios, familias y el personal al servicio de esta zona de hospitalización.

Parte de la novedad que presenta la obra es la implementación de tecnologías innovadoras para mejorar la comunicación con el usuario. Muestra de ello es la instalación del sistema integrado de llamado al Puesto Unificado de Enfermería, en el que también se encuentran los médicos y el personal docente que hace parte de la atención. La información solicitada por cada paciente llega a una

pantalla táctil y de allí se remite al equipo de cómputo del destinatario respectivo, permitiendo mejorar la oportunidad en la respuesta. Además, cada habitación cuenta con cajilla de seguridad que facilita el cuidado de las pertenencias personales, pantalla de televisión tipo LED, sistema de ventilación y extracción de gases, ventanas de seguridad que posibilitan ventilación natural; los baños sobresalen por su espacio amplio, con todos los elementos de cuidado y seguridad; en la habitación tanto los pacientes, como los familiares y el personal

médico pueden utilizar el lavamanos que contribuye a la aplicación de la higiene de manos con jabón o alcohol activado por sensores. Por otro lado, en la estética tampoco se perdieron los detalles, pues todos los acabados arquitectónicos de techos, pisos, paredes y diseños de puertas, fueron pensados para dar soluciones inteligentes a las necesidades de los usuarios.

Asimismo, cuatro de las habitaciones fueron creadas con condiciones especiales de aislamiento para hospitalizaciones conforme a la normatividad exigida en casos de estricta asepsia, o condiciones libres de infección.

“Todas las habitaciones que hemos adecuado cumplen con las especificaciones exigidas por las autoridades como el aislamiento de pacientes, la ubicación de pacientes trasplantados y las mejores condiciones de confort del país. Están a la altura de las mejores del mundo”, reiteró el director de la IPS Universitaria, Jaime Poveda Velandia. Otra parte importante en la reconstrucción de esta planta fue la garantía de accesos con facilidad para sillas de ruedas en todos los espacios, incluidos los servicios sanitarios. La sala de espera también se dotó con sofás cómodos, ventanales amplios desde los que se divisa el centro y sur de Medellín

y un televisor tipo LED. El servicio de cámaras de seguridad ofrece una mayor seguridad para cada usuario y el personal de salud. Los miembros del Comité Rectoral de la Universidad de Antioquia, en visita a finales de agosto a las instalaciones, expresaron su admiración por la obra. “Me alegra ver unas instalaciones con la mejor tecnología, con las mejores condiciones. Un lugar digno para atender pacientes de cualquier estrato. Esa es una buena noticia para la salud de Colombia. Casi todo lo que se anuncia de la salud en el país es de dificultades y aquí la Universidad de Antioquia está dando una noticia magnífica a la que puede acceder cualquier persona de la comunidad. Es un trabajo magnífico a través de la IPS Universitaria, dijo María Elena Vivas López, Vicerrectora de Extensión. Finalmente, Poveda Velandia agregó que la intención es continuar con este tipo de obras en los diez pisos del bloque 1, el cual está ubicado en el extremo oriental del trío de construcciones que conforman la Clínica León XIII. “Queremos abrir cada año un piso con esas especificaciones”, expresó el director de la IPS Universitaria.

26 Nº
UNIVERSIDAD
624,
DE ANTIOQUIA Medellín, septiembre de 2013 Por FELIPE SOSA VARGAS
Foto Luis Javier Londoño Balbín
Foto Luis Javier Londoño Balbín Foto Luis Javier Londoño Balbín

Edificio Antioquia, un nuevo espacio para la cultura y las artes

Apartir del 6 de septiembre Medellín vivirá de nuevo, después de 26 años, el evento más grande de las artes plásticas en Colombia: el Salón (inter) Nacional de Artistas, que traerá, hasta noviembre, la obra de 96 creadores que se podrán observar en el Museo de Antioquia, el Museo de Arte Moderno y el Edificio Antioquia.

Este último es un clásico edificio del centro de Medellín, hasta hace un par de años consumido por el olvido y el polvo, y ahora, gracias a la recuperación por parte de la Universidad de Antioquia como museo, se convertirá en un referente de ciudad para la cultura y el encuentro artístico.

Conocido como La naviera por su forma de proa, el edificio es una construcción bella, simbólica, ubicada en un punto estratégico de la ciudad, cerca de la estación metro Parque de Berrío, de hoteles emblemáticos y del Museo de Antioquia.

La naviera es un lugar que cuenta no solo con espacios enormes, perfectos para montajes artísticosm, sino también con historia,

por lo que fue declarado bien de interés cultural de Medellín en 2006.

Aunque desde 2011 ya funcionaban programas académicos de la Universidad en dos de sus pisos, el resto de los espacios estaban habitados por la oscuridad, las telarañas, la soledad y algunas aves que anidaban adentro.

Por lo mismo, con el apoyo de la Alcaldía de Medellín y el Ministerio

de Cultura, la Universidad inició la adecuación de los pisos 5, 6 y 7, el sótano, el primer piso y un mezzanine, todo para concebir un ambiente único y especial para las ideas de un Salón que, por primera vez, oficializa su carácter internacional con 34 invitados extranjeros provenientes de 24 países.

En los pisos superiores habrá exhibiciones y en el mezzanine el es-

pacio social del Salón, La Heladería, donde ocurrirán propuestas artísticas efímeras, de una hora, de una tarde o una mañana, o de un día. El Edificio Antioquia, que hoy vuelve con gloria a la ciudad, tuvo su gloria. No hay muchos documentos que registren su acontecer, más allá de los oficiales y notariales. Pero se sabe que la Compañía Naviera Colombiana, fundada en 1920 en Medellín, se propuso construir su sede central en 1942, para lo que contrató a la firma Vásquez y Dothee, conformada por los arquitectos Ignacio Viera, Federico Vásquez y Alberto Dothee. La construcción se terminó en 1946, adornada con elementos que recuerdan la industria naviera, como símbolos en los pisos y figuras de escenas marítimas grabadas en sus puertas.

Mercedes Lucía Vélez White, en su libro Arquitectura contemporánea en Medellín, dice que se concibió con un “sobrio expresionismo que nos recuerda la arquitectura naval” y, “revestido con piedra bogotana, el material empleado por esta firma de arquitectos en muchas de sus construcciones”, dejó la idea de una embarcación en un ciudad sin mar, un canto que no corta aguas sino algunas calles, el bullicio y la mirada de quienes se encuentran con él.

Fue la sede de esta compañía durante años, presidiendo de manera magnífica el centro de una ciudad aún pequeña y provinciana (no es difícil imaginar el impacto de esta obra en los habitantes de entonces). Luego pasó a manos del Estado, convirtiéndose en oficinas de la Gobernación de Antioquia, para el pago de los impuestos y la venta de licor oficial. Después, en la década del noventa, fue cerrado y olvidado, hasta 2005, cuando mediante ordenanza departamental la Universidad lo recibe como dación de pago, en total 502 metros cuadrados. Un tesoro. Un fragmento de patrimonio en una ciudad acostumbrada a olvidar y a borrar su patrimonio arquitectónico. Ahora, al Edificio se puede ingresar libremente, con la excusa de recorrer las exposiciones del Salón, cuyo tema, “Saber desconocer”, es ideal para hablar del resurgimiento de esta edificación.

Es volver a saber un espacio ya desconocido por la clausura de sus puertas. Es encontrarse de nuevo y conocer lo desconocido a causa del olvido. Es, como lo dijo María del Rosario Escobar, secretaria de Cultura Ciudadana de Medellín, en la presentación oficial del Salón en el mes de julio, “una ocasión muy especial porque inauguramos un nuevo espacio para las artes.” Es una oportunidad de reencontrarse con una metáfora ideada por tres arquitectos hace 71 años: un barco de cemento y ocho pisos encallado en medio de una ciudad sin mar. ¿Y el mar? Y el mar también volver a saberlo, que deberá correr, como debieron pensarlo los tres arquitectos, por cuenta de nuestras imaginaciones y deseos.

27
Nº 624, UNIVERSIDAD DE ANTIOQUIA Medellín, septiembre de 2013 Foto cortesía Fabio Arboleda Foto cortesía Fabio Arboleda

En torno al diálogo constitucional para la paz, el noveno conversatorio de la jurisdicción constitucional que se cumplirá del 18 al 20 de septiembre en Medellín congregará no solo a expertos nacionales e internacionales y operadores jurídicos. También contará con la participación de víctimas del conflicto interno colombiano.

El encuentro, que será instalado por el presidente de la República Juan Manuel Santos, el presidente de la Corte Constitucional Jorge Iván Palacio, el gobernador de Antioquia Sergio Fajardo y el alcalde de Medellín Aníbal Gaviria, girará alrededor de siete temas centrales: la complejidad de la búsqueda de la paz, experiencia comparada, tensión entre persecución judicial y consecución de la paz, control judicial internacional, reparación integral de las víctimas, tribunales constitucionales y transiciones a la paz, reconciliación y posconflicto.

En el diálogo constitucional para la paz también habrá lugar para los testimonios y vivencias y para un conversatorio literario ¿Cómo repensar el arte en una situación de transición a la paz?, con Héctor Abad Faciolince, Juan Gabriel Vásquez y Juan Luis Mejía.

La contextualización histórica del conflicto armado, los antecedentes así como los avances y dificultades del proceso de negociación con las Farc, la aproximación jurídica, política y social hacen parte de la primera temática, en la que participarán el magistrado de la Corte Constitucional Gabriel Eduardo Mendoza Martelo; Gonzalo Sánchez Gómez, del Centro de Memoria Histórica; Sergio Jaramillo Caro, Alto Comisionado de Paz; Humberto de la Calle Lombana, jefe del equipo negociador del Gobierno; Manuel José Cepeda Espinosa, expresidente de la Corte Constitucional; Antonio Navarro Wolff, exconstituyente y ex M-19; Francisco de Roux, Provincial de la Compañía de Jesús.

Además de los estudiosos de la temática de las universidades colombianas, del Fiscal General de la Nación, de exmagistrados de las altas cortes, también intervendrán representantes del International Crisis Group, del International Center for Transitional Justice, del Institute for Integrated Transitions, de la Corte Interamericana de Derechos Humanos, de la Corte Penal Internacional, de la Organización Internacional para las Migraciones, el coordinador de la ONU en Colombia Fabrizio Hochschild y José Miguel Vivanco de Human Rights Watch-América, entre otros.

Designados decanos y directores

El rector Alberto Uribe Correa nombró directora del Instituto Universitario de Educación Física a la profesora Gloria María Castañeda Clavijo, en reemplazo del profesor Iván Darío Uribe Pareja a quien se le cumplió el periodo estatutario. Asimismo, confirmó para otro periodo de tres años a la profesora Liliana Marcela Ochoa Galeano como directora de la Escuela de Microbiología.

La profesora Gloría María Castañeda Clavijo es magíster en motricidad y desarrollo humano y especialista en educación física. Ha estado vinculada a la Universidad como docente desde 1996. Igualmente ha desarrollado varias investigaciones por las que ha recibido reconocimiento nacional. Coordinadora del Comité de Currículo al momento de su designación, es la primera mujer en dirigir en posesión el Instituto Universitario de Educación Física.

Por su parte, la directora de la Escuela de Microbiología Liliana Marcela Ochoa Galeano es bacterióloga y laboratorista clínica, especialista en hematología y magíster en ciencias básicas biomédicas de la Universidad de Antioquia. Vinculada a la Universidad desde 1999, como directora de la Escuela ha liderado la renovación de los registros calificados de los pregrados Microbiología y Bioanálisis y Microbiología Industrial y Ambiental, y la apertura y consolidación de laboratorios especializados.

Decanos

El Consejo Superior Universitario, en la sesión del 27 de agosto designó

decanos a los profesores Ramón Javier Mesa Callejas para la Facultad de Ciencias Económicas, David Hernández García para la Facultad de Comunicaciones y Juan Carlos Alarcón Pérez para la Facultad de Química Farmacéutica. Ramón Javier Mesa Callejas fue confirmado para el periodo 2013-2016. Es economista de la Universidad de Medellín y especialista en política económica de la Universidad de Antioquia. Tiene una maestría en economía de la Universidad de Chile y maestría en ciencias económicas de la Universidad Nacional. Vinculado a la Universidad de Antioquia como docente desde 1994, fue reconocido en 2008 como el mejor profesor de cátedra del país por la Universidad Nacional.

Al frente de la Facultad de Comunicaciones estará David Hernández García, quien es comunicador socialperiodista de la Universidad Pontificia Bolivariana. Tiene un doctorado en psicología de las organizaciones y del trabajo de la Universidad de Barcelona y un máster en dirección de empresas de la Escuela de Administración de Empresas de Barcelona. Integrante del comité de carrera del pregrado en Comunicaciones de la Universidad de Antioquia, es miembro de la International Communication Association de Washington.

El nuevo decano de la Facultad de Química Farmacéutica Juan Carlos Alarcón Pérez, quien reemplaza al profesor Pedro Amariles Muñoz, es egresado de biología de la Universidad Javeriana, magíster en biología de la Universidad de Antioquia y doctor en la misma área de la Universidad de Barcelona. Vinculado a la Universidad desde 1988, también se ha desempeñado como coordinador de posgrados, del Serpentario y del programa de investigación-extensión Ofidismo/Escorpionismo.

28 Nº 624, UNIVERSIDAD DE ANTIOQUIA Medellín, septiembre de 2013 Departamento de Información y Prensa Secretaría General • Ciudad Universitaria • Calle 67 N° 53-108, Bloque 16, oficina 336, Medellín • Teléfonos (4) 2195023 y 2195026. • E-mail: almamater@udea.edu.co • http://almamater.udea.edu.co Comité editorial: profesores John Jairo Arboleda Céspedes Luquegi Gil Neira Olga Castaño Martínez • Eufrasio Guzmán Mesa Fabio Giraldo Jiménez • Heiner Castañeda Bustamante Se garantiza a toda persona la libertad de expresar y difundir su pensamiento y opiniones, la de informar y recibir información veraz e imparcial, y la de fundar medios masivos de comunicación. Estos son libres y tienen responsabilidad social. Se garantiza el derecho a la rectificación en condiciones de equidad. No habrá censura. (Artículo 20. Constitución Política de Colombia) La actividad periodística gozará de protección para garantizar su libertad e independencia profesional. (Artículo 73. Constitución Política de Colombia) — Las opiniones expresadas en ALMA MATER son responsabilidad de los autores y sólo a ellos compromete — Director: Heiner Castañeda Bustamante • Edición de contenidos: Luis Javier Londoño Balbín • Ilustraciones: Juan Andrés Álvarez Castaño • Auxiliares: Sara Giraldo Maestre, Carolina Sánchez Álvarez • Diagramación: Juan Camilo Vélez Rodríguez • Secretaria: María Mercedes Morales Osorio •
Ramón Javier Mesa Callejas David Hernández García Gloría M. Castañeda Clavijo Juan Carlos Alarcón Pérez Liliana M. Ochoa Galeano

Adiós a un investigador de la violencia en Antioquia

Con frecuencia —decía el médico salubrista Luis Fernando Duque Ramírez— leemos u oímos que la fuente de nuestros males sociales es el narcotráfico y a este le atribuimos los demás males que nos agobian. Pero, ¿acaso los narcotraficantes y capos antioqueños no son “producto” local? Ninguno de ellos ha sido “importado”; nacieron entre nosotros, crecieron entre nosotros y formaron sus familias con jóvenes de nuestras comunidades. ¿No será más bien que tanto narcotráfico, como violencia, etc., tienen causas comunes?

Luis Fernando Duque Ramírez fue rector del Alma Máter entre 1972 y 1974. Sus últimos 13 años de vida los dedicó a investigar la violencia en Antioquia. Cuentan sus colegas que ni el cáncer de colon que padeció durante años fue suficiente para apagar su espíritu de investigador y de maestro que conservó intacto hasta el último día de su vida, el cinco de agosto pasado.

El profesor Duque Ramírez era egresado de medicina de la Universidad de Antioquia y magíster en salud pública de la Universidad Johns Hopkins de Estados Unidos. Fue decano de la Facultad Nacional de Salud Pública, viceministro de Salud, director del Instituto Colombiano para el Fomento de la Educación Superior, Icfes, y del Instituto Nacional de Salud. Así mismo, se desempeñó como asesor de la presidencia de la República, consultor internacional del Fondo de las Naciones Unidas para la Infancia, del Banco Mundial, del Banco Interamericano de Desarrollo y de la Organización Panamericana de Salud.

En Colombia, el investigador Duque Ramírez optó por estudiar el

perfil epidemiológico del país y de Antioquia. Sus hallazgos revelaron que la primera causa de morbimortalidad era la violencia, es decir la que genera más muertes en un lugar determinado y que puede ser modificable.

De la mano de esos trabajos surgió Previva, un programa de la Facultad Nacional de Salud Pública que busca generar evidencia científica útil para disminuir la violencia y los comportamientos de riesgo tales como el consumo de alcohol, sustancias psicoactivas, tabaco y comportamientos sexuales riesgosos.

Con evidencia científica, él y los colaboradores que se integraron a Previva, siempre han pretendido que tanto la gente del común como los funcionarios y las organizaciones, adopten una voluntad de cambio para lograr políticas públicas, programas y estrategias que a largo plazo transformen la sociedad.

“Él decía que muchas políticas y normas surgen porque diez personas tienen el poder para decidir. Argumentaba entonces que la evidencia científica con calidad y principios académicos estrictos darían las directrices para que las políticas se basen en esa evidencia”, cuenta Nilton Montoya, estadista de Previva y quien trabajó con él desde el inicio del programa.

De acuerdo con Alexandra Restrepo, coordinadora técnica de Previva, el legado investigativo más importante que dejó Duque Ramírez fue encontrar que el punto crucial para prevenir la violencia en Antioquia es la familia, especialmente el papel que desempeña la madre en cuanto al afecto, la comunicación y la vigilancia de sus hijos en los primeros años de vida.

Al respecto, Duque Ramírez escribió: “No pretendo estigmatizar a las madres antioqueñas, como que son las causantes de la violencia, (…) sino por lo contrario, lo que me parece de gran importancia es resaltar que las pautas de crianza de nuestras madres constituyen el principal activo que tiene nuestra sociedad para promover la cultura de la legalidad y para superar la trasmisión generacional de la violencia”.

En ese sentido, fue un crítico de la forma en que se trata la problemática de la violencia. Decía que existe una preocupación por las ví ctimas y los victimarios pero que se deja de lado el proceso por el que llegaron allí. Su último artículo lo dedicó a hacer un llamado para dejar de promover la agresión y por el contrario exaltar a los resilientes, en otras palabras, a aquellas personas que tienen la capacidad de sobreponerse al dolor y a los traumas que han padecido.

“Dejemos de promover la agresión exaltando esos comportamientos violentos, dándoles plata y subsidios y poniéndolos en un programa de televisión. Por qué no exaltamos a los jóvenes que tienen las vidas más difíciles del mundo y están aquí en la Universidad por ejemplo ”, decía

el profesor Duque, recuerda la coordinadora técnica de Previva.

El profesor Duque Ramírez estaba convencido de que la Universidad de Antioquia trasciende su figura de claustro de conocimientos; pensaba que el Alma Máter es “el motor de la equidad en Antioquia”, cuenta Restrepo. “Para él la UdeA era un polo de desarrollo, generadora de paz, de progreso, de acabar con las desigualdades sociales”, complementa Montoya.

Luis Fernando Duque Ramírez murió a sus 74 años, pero su ejemplo de rectitud, honestidad, fuerza, y educación continúa vivo en quienes siguen al frente del programa. El objetivo, ahora, es convertir a Previva en una corporación de la Universidad.

—Nunca se me olvida que luego de una larga discusión sobre cuál era el mejor método de hacer investigación respondió: solo hay una forma de hacerla: bien. Argumentaba que no hacer las cosas bien con dineros públicos era ser deshonesto, cuenta Nilton Montoya.

—Era la persona en el equipo que por su inmensa experiencia tenía múltiples ideas de qué investigar, cómo proyectarnos, cómo hacer un artículo más atractivo. Hasta el último momento fue el hombre de las ideas, puntualiza Alexandra Restrepo.

29 Nº 624, UNIVERSIDAD DE ANTIOQUIA Medellín, septiembre de 2013 CONSEJO SUPERIOR UNIVERSITARIO: Sergio Fajardo Valderrama, Gobernador del Departamento y Presidente de la Corporación • Alberto Uribe Correa, Rector • Antonio Yepes Parra, Representante del Presidente de la República • Paula Marcela Arias Pulgarín, Representante de la Ministra de Educación Nacional • Clemencia Uribe Restrepo, Representante del Consejo Académico • Rafael Nieto López, Representante Profesoral • Mario Arturo González Arboleda, Representante de los Egresados • Manuel Santiago Mejía Correa, Representante del Sector Productivo, Luis Javier Arroyave Morales, Representante de los ex Rectores • Luquegi Gil Neira, Secretario General. CONSEJO ACADÉMICO: Alberto Uribe Correa, Rector • Fanor Mondragón Pérez, Vicerrector de Investigación • Juan Carlos Amaya Castrillón, Vicerrector de Docencia • María Helena Vivas López, Vicerrectora de Extensión • Rubén Alberto Agudelo García, Vicerrector Administrativo • Francisco Londoño Osorno, Decano Facultad de Artes • Luis Guillermo Palacio Baena, Decano Facultad de Ciencias Agrarias • Ramón Javier Mesa Callejas, Decano Facultad de Ciencias Económicas • Nora Eugenia Restrepo Sánchez, Decana Facultad de Ciencias Exactas y Naturales • Gloria Patricia Peláez Jaramillo Decana Facultad de Ciencias Sociales y Humanas • Jaime Alberto Vélez Villa, Decano Facultad de Comunicaciones • Clemencia Uribe Restrepo, Decana Facultad de Derecho y Ciencias Políticas • Carlos Arturo Soto Lombana, Decano Facultad de Educación • Sandra Catalina Ochoa, Decana Facultad de Enfermería • Carlos Alberto Palacio Tobón, Decano Facultad de Ingeniería • Élmer de Jesús Gaviria Rivera, Decano Facultad de Medicina • María Patricia Arbeláez Montoya, Decana Facultad Nacional de Salud Pública • Clara Eugenia Escobar Güendica, Decana Facultad de Odontología • Pedro José Amariles Muñoz, Decano Facultad de Química Farmacéutica • Lucía Stella Tamayo Acevedo, Representante Profesoral Consejo Académico • Luquegi Gil Neira, Secretario General. Invitados: John Jairo Arboleda Céspedes, Vicerrector General • Fabio Giraldo Jiménez, Director de Posgrado • Jaime Ignacio Montoya Giraldo, Director de Desarrollo Institucional • María Carolina Laverde Velásquez, Directora de Relaciones Internacionales • Daryeny Parada Giraldo, Directora de Bienestar Universitario • Dora Nicolasa Gómez Cifuentes, Directora Programa de Regionalización • Liliana Marcela Ochoa Galeano, Directora Escuela de Microbiología •
María Teresa Arbeláez Garcés, Directora Escuela Interamericana de Bibliotecología John Jairo Giraldo Ortiz, Director Escuela de Idiomas Berta Lucía Gaviria Gómez, Directora Escuela de Nutrición y Dietética • Francisco Cortés Rodas, Director Instituto de Filosofía • Iván Darío Uribe Pareja, Director Instituto de Educación Física y Deporte • Jaime Cardona Usquiano, Director Oficina de Asesoría Jurídica • Claudia María Rivera Osorio, Auditora Interna • Heiner Castañeda Bustamante, Director de Comunicaciones. Foto Archivo Periódico ALMA MATER

Apartir del yo como instancia ficticia, Fernando Pessoa compuso para sí mismo una ópera. Nació así uno de los mitos literarios más perturbadores del siglo xx, el del poeta sin nombre propio, creador de otros poetas en nombre de una única ficción que los hace posibles: la del yo como ficción. En la ópera poética de Pessoa, representada en un espacio cerrado, actúan su yo-ficción y las ficciones destinadas a darle la ilusión de la realidad. Para él no es solo la vida verdadera lo que está ausente. Toda vida es ausencia. Hay que hacer visible, sensible, esa ausencia ontológica, la inanidad inagotable de nuestra existencia. El propio Fernando Pessoa llamó heteronimia a esta manifestación de sí sobre un fondo de ausencia, o sea, invención de yos-otros tan ficticios y tan reales como el “yo” de Fernando Pessoa. Es a esa numerosa familia de hijos de nadie que el poeta de la Oda marítima debe una buena parte de su éxito, vuelto universal con el paso del tiempo. Fernando Pessoa es, por lo tanto, él mismo y también el cortejo de los Pessoa-otros, a quienes, como él, damos nombres: Alberto Caeiro, Ricardo Reis, Álvaro de Campos, Bernardo Soares, Antonio Mora y algunos otros. En suma, todos y nadie. Como todo el mundo, encarnaciones del anonimato esencial del yo en cuanto yo moderno. El genio de Pessoa reside en la anticipación: multiplicó máscaras sobre el rostro de nuestra nada. Haciéndolo así, no la ocultó ni la redujo. La hizo

Deseo ser un creador de mitos, que es el misterio más alto que puede obrar alguien de la humanidad Fernando Pessoa

Soy nada... Soy una ficción... Álvaro de Campos

Fernando Pessoa o el yo como ficción

el poeta cuyo yo se manifestase como conciliación entre la conciencia y el mundo, el pagano sin necesidad de dioses, el primitivo en consonancia con un mundo reducido a la sensación de mundo. Con todo, al igual que los demás heterónimos, lo que escribe —lo que él es— revela la falla, la marca de ausencia que constituye el yo. Esa falla es la propia conciencia:

brillar con intensidad dejando sin disculpas a quienes se sintiesen tentados a no verla así.

Sorprendidos por la teatralidad de esa puesta en escena poética, algunos comentaristas ven en esta aventura fuera de lo común una fiesta sin par del texto en sus infinitas reverberaciones. La fiesta hace parte indudablemente de su obra, pero sería una fiesta más bien triste y vana, si no hubiese sido organizada nada más que en beneficio y honra de la pura ficción textual. Fernando Pessoa vivió su juego como una apuesta de la vida, incluso como la apuesta de su vida. Nos toca a nosotros ver en ella también los signos de una crisis que hace temblar los fundamentos de nuestro espíritu y el sentido de nuestra cultura. Pessoa describió la creación de sus innumerables otros como un drama em gente, un “drama en forma de gente”, herida creadora y no mero placer de jugador de ajedrez satisfecho con su jugada. Para nosotros, viajeros sorprendidos o perplejos por esos mundos múltiples, lectores de Alberto Caerio, de Ricardo Reis, o de Álvaro de Campos, el trayecto puede parecer justificar la idea de un número de malabarismo, sin otra finalidad que la del placer equívoco de brillar. Aun así, basta quedarnos un poco en uno de esos “creadores-criaturas”, para reconocer en nosotros, como en una mónada, la misma tentativa, siempre fallida, de suplir la ausencia congénita del yo. Más que cualquier otro, el heterónimo Alberto Caeiro nació en el poeta para poner fin al estatuto de un yo ficticio. Alberto Caeiro “debía ser”

Pienso y escribo como las flores tienen color, pero con menos perfección en mi manera de expresarme porque me falta la simplicidad divina de ser todo solamente mi exterior.

Antes de Pessoa, nadie había otorgado a la idea del yo como ficción un estatuto tan paradigmático y espectacular. Pero es preciso que no confundamos la aventura creadora de Pessoa con la de un Borges. Hubo quien escribió que Pessoa y sus heterónimos son una especie de invención de Borges. O viceversa. Borges es, apenas, una de las aventuras de Pessoa. Fernando Pessoa no es un malabarista impersonal como Jorge Luis Borges, una ficción satisfecha de sí misma. El “yo como ficción” no es para Pessoa un hallazgo literario, más adecuado que otros para enredar para siempre las líneas con que nos divertimos con el espacio y el tiempo, o al contrario. Para Pessoa, el “yo como ficción” es la realidad y el lugar de una búsqueda —una de las más radicales del siglo xx— y, sobre todo, el signo de un sufrimiento. Pessoa no fue un literato o una máquina, incluso genial, de hacer literatura. Fue un modesto empleado de oficina, soñador, megalómano, de comienzos de siglo, en Lisboa, herido en el corazón, en la inteligencia y en el alma por el sentimiento de su propia inexistencia, y que, en un mundo vaciado de sentido, inventó extrañas salidas para convencerse de que tenía todas las vidas que los soñadores en él podían inventar.

Como Fernando Pessoa se volvió figura literaria, tenemos la tentación de imaginar que ganó su apuesta, más allá de todos sus sueños más locos. ¿No se convirtió realmente en Alberto Caeiro, Ricardo Reis, Álvaro de Campos, poetas de vidas legendarias, más verosímiles que nuestras vanas vidas cotidianas? ¿No se convirtieron todos ellos, bajo nuestras miradas, en héroes de novela? De hecho, ese “éxito” no anula la historia del fracaso voluntario que fue en la vida “real”. Si Fernando Pessoa pudiese contemplar hoy su “vida gloriosa” y, más aún, la existencia mítica de sus hijos y dobles, vería en ellos la confirmación definitiva de la idea que tenía del yo como realidad imaginaria. En las horas más sombrías de su existencia apagada, Pessoa nunca dudó del éxito de su vida imaginaria. Pero esa idea consoladora no era suficiente para otorgarle el estatuto de un yo real, el único que le habría dispensado de soñarse constantemente al modo de la ficción.

No nos cabe a nosotros sentir una satisfacción superior a la de él por todo aquello que vivió como desastre, a menos que queramos vaciar de sentido su doble vida, anverso y reverso de la única vida que consideraba real, la de la pura ausencia:

No ser nada, ser una figura de novela, sin vida, sin muerte material, una idea, cualquier cosa que nada tornase útil o fea, una sombra en un suelo irreal, un sueño en un trance.

El sentimiento del yo como ficción no es para Fernando Pessoa del orden de la ficción o de la abstracción, sino del orden de lo vivido.

Fragmento del libro Antología sobre Fernando Pessoa, de Eduardo Lourenço. Selección, traducción y epílogo de Carlos Vásquez, Introducción de Carlos Ciro. Editorial Universidad de Antioquia, 2013.

30 Nº 624, UNIVERSIDAD DE ANTIOQUIA Medellín, septiembre de 2013

Detrás de la aparición de Elena, la aguatera que inicia la obra Las Antioquias, 200 años de historia y memoria, lo que fluye en esta propuesta dramatúrgica, elaborada por los estudiantes de octavo nivel de actuación de la Licenciatura en Teatro y Arte Dramático de la Facultad de Artes, es la comprobación de que “el tiempo es otro río”, como dice un aparte de sus parlamentos. En la obra surgen personajes de la cotidianidad neogradina: nativos, españoles y chapetones avasalladores que colonizan estas tierras, los héroes conocidos y anónimos que hicieron posible la transición histórica entre la conquista y la independencia. También una geografía musical, gracias a la brillante participación del Cuarteto La Perla, integrado por docentes y estudiantes de la Universidad e investigadores.

Porque se asiste, al ensamble teatro y música, en forma perfecta, a conocer temas en su mayoría anónimos, que marcaron la vida de la época, como las contradanzas La libertadora y La vencedora, que para entonces estaban en boga por su condición de exaltación; a la vez, al reconocimiento de otras piezas musicales como pasodobles que encajan perfecto en el periodo comprendido entre 1800 y 1950.

Entre ellas cantos campesinos y rondas como Somos cinco negritos, de origen africano, interpretados por el coro infantil de Extensión de la Facultad de Artes de la UdeA; apartes de La marsellesa, que ambientan las proclamas del gobierno, cantos eclesiásticos que dan cuenta del papel de la iglesia católica y sonidos propios de un entorno al que se viaja con la obra.

Marcela Ospina Parra considera que el aporte musical a la propuesta dramatúrgica es fundamental no solo para ambientar una temática que aún está por liberar muchos imaginarios, sino porque también facilita poner en evidencia la necesidad de investigar más sobre la musicalidad de la época de 1800, cuando las identidades empiezan a generar otras estéticas.

La investigación musical realizada para la obra fue antecedida por el trabajo Independencia al nacionalismo, un homenaje musical al bicentenario, compilación que obtuvo en 2010 el Premio de las Becas de Creación de la Alcaldía de Medellín.

“Hace 16 años se trabaja en esta música y tenemos una grabación con más de veinte temas de la época que exige un trabajo de adapta-

ción muy interesante porque toda la música del nacionalismo a la independencia que interpretamos no es original para flauta traversa, ni el violín, ni el chelo; sino que fue escrita para tiple y piano entre otros instrumentos de la época”, observa Ospina Parra.

El cuarteto, integrado por los estudiantes Julio Reyes en el violín y Juan David Martínez en el chelo,

“El tiempo es otro río”

y los profesores Hugo Espinoza ejecutante de la flauta traversa y Marcela Ospina, en la viola; tiene en esta música patrimonial un principio de trabajo: “la conmoción como un sentimiento inequívoco de sus ritmos, que parece entrar en las raíces, una sensación que atrapa y más aun al relacionarse con Antioquia, porque tiene que ver directamente con nosotros”.

Ello en el contexto de que la investigación no puede ser sesgada y que es necesario avanzar más para determinar la influencia española y negra dentro de la cultura musical de la Nueva Granada; la indagación sobre la fuerte imposición rítmica que en forma paralela al trabajo evangelizador se dio en las tierras conquistadas, y cómo ante los aires que se impusieron, fue y sigue vigente la participación de los compositores nativos”.

Asegura Marcela, la directora del Cuarteto La Perla, que el gran aporte musical a Las Antioquias, 200 años de historia y memoria, es evidenciar la mezcla de ritmos y la búsqueda de identidades en Latinoamérica que se dieron a finales de 1800, cuando se dio un vuelco a la creación de lo propio; la confluencia de elementos comunes y los movimientos cercanos en el tiempo.

Y este, reconocimiento, como lo señalan la presentación oficial de la obra dramatúrgica, es posible gracias a las travesías que permiten recorrer desde la memoria sonora los sucesos históricos, ver y escuchar desde otras orillas.

31
Nº 624, UNIVERSIDAD DE ANTIOQUIA Medellín, septiembre de 2013 Foto Luz Adriana Ruiz Fotos Luz Adriana Ruiz Fotos Luz Adriana Ruiz

Treinta y ocho actores con sus cuerpos desnudos colgados De-cápita, es decir, de cabeza, en la antigua estación del Ferrocarril de Antioquia en Bello interpelan a una sociedad acostumbrada a ignorar las preguntas incómodas, preguntas a las que, sin embargo, los espectadores que confluyeron el 16 de agosto en el amplio escenario se enfrentaron, interpelados por el performance: “…en esta sociedad de cabeza, ¿aún podemos ver la realidad desde otros puntos de vista?”.

“De-cápita es la idea del eros y el tánatos, la vida y la muerte, los cuerpos descuartizados y violentados pero vivos y latentes que sienten el dolor y son capaces de resistir a él para generar en el otro una política y una poética”, dice la profesora Ángela Chaverra, directora del colectivo artístico El cuerpo habla.

No se trata —explica— de estar enfrentados al sistema sino de reconocerlo y ser capaz de estructurarlo y reestructurarlo, conocerlo y desconocerlo en el juego de la alteridad, para generar una reflexión desde las resistencias personales. “Abrir fisuras al sistema es disolverlo un poco”, dice.

El cuerpo habla es un colectivo artístico de investigación, de confrontación y de crecimiento y elaboración ética, estética y política adscrito a la Facultad de Artes de la Universidad de Antioquia que desde hace cinco años con los performances Vadear, Molé que molé, Derretear, Revelar, Rodar por la vida, Estrías, Encarnacciones y ahora Decápita, se han puesto a la tarea de proponer escenarios de reflexión.

“Desnudarse es más que mostrar la piel y eso significa ser capaz de resistir, de estar en evidencia, de estar expuesto y poder seducir con esa entrega y conseguir que los espectadores vean más allá”, expresa Ángela Chaverra.

Para Lina María Loaiza, antropóloga de la UdeA y participante de esta acción poética, quien ve su cuerpo como un vehículo bello, pleno y libre para comunicar cuanto siente, no le incomoda la censura, más bien cree que quien censura tiene un problema de aceptación personal. “Mi cuerpo dice, definitivamente, que no quiere estar ni cohibido, ni escondido, ni retenido, y espero tocar con esta acción a muchas personas”, dice.

El colectivo está conformado por filósofos, antropólogos, artistas y estetas. Surgió como cátedra en Artes Plásticas para satisfacer la necesidad de un espacio donde el artista explorara las posibilidades de juego con su cuerpo. La cátedra aún se dicta en dos niveles teniendo al grupo de investigación El cuerpo habla como una alternativa dónde desarrollar las experimentaciones corporales.

Ad portas de finalizar su carrera de Artes Plásticas Evelin Loaiza, veintidós años, lleva cinco en este colectivo; allí ha encontrado un espacio para manifestar desde las sutilezas propias del arte sus inconformidades políticas. Tiene claro que estos años de práctica le han permitido acuñar, moldear, traducir y transcribir para sus espectadores la relación cuerpo-encarnación, cuerpo-devenir, cuerpocomunica, y comprender que los espectadores no son entes pasivos sino vivenciales, que dan tanto como reciben, porque cuando un cuerpo habla el otro escucha y responde, aunque esté de cabezas.

32 Nº
624, UNIVERSIDAD DE ANTIOQUIA Medellín, septiembre de 2013
Foto Juan Andrés Álvarez Castaño
Por JUAN PABLO MUÑOZ PATIÑO

Turn static files into dynamic content formats.

Create a flipbook
Issuu converts static files into: digital portfolios, online yearbooks, online catalogs, digital photo albums and more. Sign up and create your flipbook.