









![]()













Via www.diddit.be heb je toegang tot het onlineleerplatform bij GENIE Natuurwetenschappen 3. Activeer je account aan de hand van de onderstaande code en accepteer de gebruiksvoorwaarden. Kies je ervoor om je aan te melden met je Smartschool-account, controleer dan zeker dat je e-mailadres aan dat account gekoppeld is. Zo kunnen we je optimaal ondersteunen.
LET OP: ACTIVEER DEZE LICENTIE PAS VANAF 1 SEPTEMBER; DE LICENTIEPERIODE START VANAF ACTIVATIE EN IS 365 DAGEN GELDIG.
!Fotokopieerapparaten zijn algemeen verspreid en vele mensen maken er haast onnadenkend gebruik van voor allerlei doeleinden. Jammer genoeg ontstaan boeken niet met hetzelfde gemak als kopieën. Boeken samenstellen kost veel inzet, tijd en geld. De vergoeding van de auteurs en van iedereen die bij het maken en verhandelen van boeken betrokken is, komt voort uit de verkoop van die boeken.
In België beschermt de auteurswet de rechten van deze mensen. Wanneer u van boeken of van gedeelten eruit zonder toestemming kopieën maakt, buiten de uitdrukkelijk bij wet bepaalde uitzonderingen, ontneemt u hen dus een stuk van die vergoeding. Daarom vragen auteurs en uitgevers u beschermde teksten niet zonder schriftelijke toestemming te kopiëren buiten de uitdrukkelijk bij wet bepaalde uitzonderingen. Verdere informatie over kopieerrechten en de wetgeving met betrekking tot reproductie vindt u op www.reprobel.be.
Ook voor het digitale lesmateriaal gelden deze voorwaarden. De licentie die toegang verleent tot dat materiaal is persoonlijk. Bij vermoeden van misbruik kan die gedeactiveerd worden. Meer informatie over de gebruiksvoorwaarden leest u op www.diddit.be.
© Uitgeverij VAN IN, Wommelgem, 2024
De uitgever heeft ernaar gestreefd de relevante auteursrechten te regelen volgens de wettelijke bepalingen. Wie desondanks meent zekere rechten te kunnen doen gelden, wordt verzocht zich tot de uitgever te wenden.
Credits
p. 135 spookdiertje nacht © Imageselect, p. 137 applet simulatie hoofdkleuren © CC BY PhET Interactive Simulations, University of Colorado Boulder, https://phet.colorado.edu, p. 153 Waarom ga je huilen van uien? © www.technopolis.be p. 173 kaart © CC BY OpenStreetMap Foundation (OSMF), p. 197 applet energievormen © CC BY PhET Interactive Simulations, University of Colorado Boulder, https://phet.colorado.edu, p. 203 applet coëfficiënten in reactievergelijking © CC BY PhET Interactive Simulations, University of Colorado Boulder, https://phet.colorado.edu, p. 228 raket © BELGA/ AFP, p. 229 meisje met ballon © Imageselect, p. 242 zwemmer © Imageselect, p. 284 applet © CC BY PhET Interactive Simulations, University of Colorado Boulder, https://phet.colorado.edu, p. 330 puberteit © Imageselect, p. 362 dwarsgestreepte spier © Eric Grave/Alamy/Imageselect, p. 398 elektronenmicroscoop © VUB
Eerste druk 2024 Vormgeving en ontwerp cover: Shtick
ISBN 978-94-647-0581-2
Tekeningen: Geert Verlinde, Tim Boers (Studio B) D/2024/0078/229
Zetwerk: Barbara Vermeersch Art. 606326/01 NUR 120
Module 1: ZUIVERE STOFFEN
` HOOFDSTUK 1: Hoe onderscheiden we stoffen van elkaar? 16
1 Wat betekent de term ‘stofeigenschap’? 16
2 Stofeigenschap:
3 Stofeigenschappen: kook- en smeltpunt
4 Stofeigenschap: deeltjesgrootte
5 Stofeigenschap: oplosbaarheid
3 Bolstaaf- en bolschilmodellen van een chemische stof
HOOFDSTUK
HOOFDSTUK
Onderverdeling binnen de enkelvoudige stoffen
ZORGEN VOOR HOMEOSTASE
BIJ ORGANISMEN
` HOOFDSTUK 1:
Hoe wordt de werking van een organisme geregeld? 80
` HOOFDSTUK 2:
Hoe zorgt een regelsysteem voor evenwicht bij dieren en planten? 85
1 Hoe zorgt een regelsysteem voor evenwicht bij dieren? 85
2 Hoe zorgt een regelsysteem voor evenwicht bij planten? 93
Module 4: PRIKKELS
WAARNEMEN BIJ DIEREN
` HOOFDSTUK 1:
Soorten prikkels en hun kenmerken 105
1 Wat is een prikkel? 105
2 Welke soorten prikkels kunnen organismen waarnemen? 108
3 Met behulp van welke structuren kunnen we prikkels waarnemen 109
` HOOFDSTUK 2:
5:
` HOOFDSTUK 1:
Welke eigenschappen heeft een rechtlijnige beweging? 159
©VANIN
Hoe nemen mensen en andere dieren lichtprikkels waar? 116
1 Hoe is het oog opgebouwd? 117
2 Hoe werkt het oog? 124
1 Wat betekent je verplaatsen tussen twee punten? 159
2 Wat betekent bewegen aan een bepaalde snelheid? 164
` HOOFDSTUK 2:
Welke eigenschappen heeft een rechtlijnige beweging met een constante snelheid? 177
1 Wat betekent bewegen aan een constante snelheid? 177
2 Welke grafieken horen bij bewegingen? 179
Module 6: KENMERKEN VAN EEN CHEMISCHE REACTIE
` HOOFDSTUK 1: Wat is een chemische reactie? 199
1 Chemische en fysische processen 200
2 Notatie van een chemische reactie 202
3 Wetten bij het noteren van chemische reacties 203
` HOOFDSTUK 2: Welk nut hebben chemische reacties als energiebron? 214
1 Chemische energie 214
2 Exo-energetische reacties 216
3 Endo-energetische reacties 218
Module 7: KRACHTEN
` HOOFDSTUK 1: Wat is zwaartekracht? 231
1 Welke kenmerken heeft de zwaartekracht? 231
2 Wat is het verband tussen massa, gewicht en zwaartekracht? 235
` HOOFDSTUK 2: Hoe kun je krachten samenstellen? 244
1 Hoe stel je krachtvectoren met dezelfde richting samen? 244
` HOOFDSTUK 3: Andere soorten krachten 253
1 Wat is veerkracht? 253
2 Wat is normaalkracht? 261
` HOOFDSTUK 4: Welke verband bestaat er tussen kracht en beweging? 270
1 Hoe verandert de bewegingstoestand tijdens een beweging? 270
2 Wat is het verband tussen kracht en verandering van bewegingstoestand? 272
3 Wat is het verband tussen kracht en ERB? 276
Module 8: HOE GEBEURT DE COÖRDINATIE VAN REACTIE OP PRIKKELS BIJ DIEREN?
` HOOFDSTUK 1: Hoe regelt het zenuwstelsel de lichaamswerking? 293
1 Welke cellen geven informatie door in je lichaam? 293
2 Soorten neuronen? 294
3 Wat is het verschil tussen zenuwen en zenuwcellen? 296
` HOOFDSTUK 2:
Hoe regelt het zenuwstelsel de reacties op prikkels? 305
1 Hoe gebeurt de geleiding van informatie in een zenuwcel? 305
2 Hoe wordt de snelheid van impulsgeleiding verhoogd? 309
3 Hoe geven zenuwcellen informatie door aan andere cellen? 312
` HOOFDSTUK 3:
Wat is de rol van het zenuwstelsel in de verwerking van prikkels? 320
1 Wat is het verschil tussen een gewilde beweging en een reflex? 320
2 Hoe verwerkt het centrale zeuwstelsel de informatie van een prikkel? 324
` HOOFDSTUK 4:
Hoe regelt het hormonale stelsel de reacties op prikkels? 330
1 Welke rol speelt het hormonale stelsel bij het overbrengen van informatie? 330
2 Welke receptoren vangen de prikkel op en hoe worden hormonen in het lichaam verspreid? 332
3 Hoe stuurt een hormoon welbepaalde effectoren aan tot reactie? 334
` HOOFDSTUK 5:
Hoe zorgen het zenuwstelsel en het hormonale stelsel voor homeostase? 339
1 Hoe draagt het hormonale stelsel bij aan homeostase voor de bloedsuikerspiegel? 339
Module 9: HOE REAGEREN DIEREN OP PRIKKELS?
` HOOFDSTUK 1:
Hoe reageren spieren op impulsen van het zenuwstelsel? 358
1 Hoe worden spieren door het zenuwstelcel aangestuurd? 358
2 Welke verschillen zijn er in werking tussen de soorten spieren? 360
3 Hoe verschillen spierweefsels van elkaar? 361
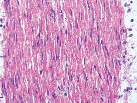
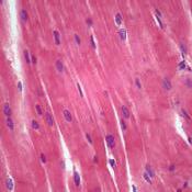
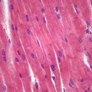
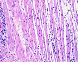
4 Hoe werken dwarsgestreepte spieren? 363
5 Hoe werken gladde spieren? 371
6 Het hart, een buitenbeentje tussen de spieren? 373
` HOOFDSTUK 2: Hoe worden klieren aangestuurd? 381
1 Wat zijn exocriene klieren? 382
2 Welke verschillen zijn er tussen exocriene en endocriene klieren? 385
Module 10: BOUW, EIGENSCHAPPEN EN RANGSCHIKKING VAN ATOMEN
` HOOFDSTUK 1: Hoe evolueerde het atoommodel? 401
1 Nog kleiner dan het atoom 401
2 Dalton, Thomson, Rutherford en Bohr 405
` HOOFDSTUK 2:
Wat weten we al over het atoom? 409
1 De elementaire deeltjes en hun lading 409
2 De massa van het atoom 411
` HOOFDSTUK 3:
Hoe zitten elektronen verdeeld in een atoom? 414
1 Schillen rond de nucleus 414
2 Elektronen op een schil 416
` HOOFDSTUK 4:
Wat leren we uit de plaats van een element in het PSE? 423
1 Perioden en groepen 424
2 De a-groepen en hun naam 426
Module 11: HOE WORDT DE WERKING VAN PLANTEN GEREGELD?
` HOOFDSTUK 1: Hoe gebeurt het opvangen van en reageren op prikkels bij planten? 434
1 Welke prikkels kunnen planten waarnemen? 434
2 Hoe reageren planten op prikkels? 437
` HOOFDSTUK 2: Hoe regelen planten de reactie op een prikkel? 447
1 Geleiding van informatie met behulp van elektrische signalen 447
2 Geleiding van informatie met behulp van plantenhormonen 449
` HOOFDSTUK 3: Hoe houden planten hun inwendig milieu in evenwicht? 454
1 Enkele belangrijke plantenhormonen 454
2 Plantenhormonen werken samen om waterverlies te remmen 459

In de CHECK IN maak je kennis met het onderwerp van de module. In het kadertje onderaan vind je een aantal vragen die je op het einde van de module kunt beantwoorden.
In de verkenfase zul je merken dat je al wat kennis hebt over het onderwerp dat in de module aan bod komt. Jouw voorkennis wordt hier geactiveerd.







Na het activeren van de voorkennis volgen een aantal hoofdstukken Een module bestaat uit meerdere hoofdstukken. Doorheen de hoofdstukken verwerf je de nodige kennis en vaardigheden om uiteindelijk een antwoord te geven op de centrale vraag of het probleem uit de CHECK IN.
SYNTHESE EN CHECKLIST
We vatten de kern van de module voor je samen in de hoofdstuksynthese en themasynthese
Vervolgens willen we graag dat je vorderingen maakt en dat je reflecteert op je taken en leert uit feedback. De checklist is een hulpmiddel om zelf zicht te krijgen of je de leerdoelen al dan niet onder de knie hebt.
2

In CHECK IT OUT pas je de vergaarde kennis en vaardigheden toe om terug te koppelen naar de vragen uit de CHECK IN.
In het onderdeel Aan de slag kun je verder oefenen. Je leerkracht beslist of je de oefeningen op het einde van de module maakt of doorheen de lessen.
` Per thema vind je op adaptieve oefenreeksen om te leerstof verder in te oefenen.
Ga zelf op onderzoek! Bij het onlinelesmateriaal staan een aantal labo’s om verder experimenten uit te voeren.



• In de linkermarge naast de theorie is er plaats om zelf notities te maken. Noteren tijdens de les helpt je om de leerstof actief te verwerken.
• Op vind je per themasynthese een kennisclip waarin we alles voor jou nog eens op een rijtje zetten.
lichaam, ligt het netvlies of de retina (13). Licht dat door de lens valt, komt op het netvlies terecht. Het centrale gedeelte noemen we de gele vlek (14). Hier wordt het beeld gevormd. De lichtgevoelige cellen van het netvlies reageren op het invallend licht. Het zijn de fotoreceptoren: zij vangen de lichtprikkels op
In elke module word je ondersteund met een aantal hulpmiddelen.
Kenniskader
We zetten doorheen de module de belangrijkste zaken op een rijtje in deze rode kaders.
VEILIGHEIDSVOORSCHRIFT !
Met GENIE ga je zelf experimenteren en op onderzoek. Daarbij moet je natuurlijk een aantal veiligheidsvoorschriften respecteren. Die vind je terug in dit kader.
WEETJE
Een weetjeskader geeft extra verduidelijking of illustreert de leerstof met een extra voorbeeld.
OPDRACHT 11 DOORDENKER
Nood aan meer uitdaging? Doorheen een module zijn er verschillende doordenkers.
Niet altijd even makkelijk om op te lossen, maar het proberen waard!
Bij het onlinelesmateriaal vind je een vademecum Dat vademecum ̒GENIE in STEM-vaardigheden omvat:
In de tipkaders vind je handige tips terug bij het uitvoeren van de onderzoeken of opdrachten.
Moeilijke woorden worden uitgelegd in een woordenlijst op . Die woorden springen extra in het oog door de stippellijn
• stappenplannen om een grafiek te maken, opstellingen correct te bouwen, metingen uit te voeren …;
• stappenplannen om een goede onderzoeksvraag op te stellen, een hypothese te formuleren …;
• een overzicht van gevarensymbolen en P- en H-zinnen;
• een overzicht van grootheden en eenheden;
• een overzicht van labomateriaal en labotechnieken;
• …
Een e-book is de digitale versie van het leerschrift. Je kunt erin noteren, aantekeningen maken, zelf materiaal toevoegen ...

• De leerstof kun je inoefenen op jouw niveau.
• Je kunt vrij oefenen en de leerkracht kan ook voor jou oefeningen klaarzetten.
Hier vind je de opdrachten terug die de leerkracht voor jou heeft klaargezet.
Hier kan de leerkracht toetsen en taken voor jou klaarzetten.
Benieuwd hoever je al staat met oefenen en opdrachten? Hier vind je een helder overzicht van je resultaten.
• Hier vind je het lesmateriaal per module.
• Alle instructiefilmpjes, kennisclips, demovideo’s en labo’s zijn ook hier verzameld.



Meer info over diddit vind je op https://www.vanin.diddit.be/nl/leerling.

In de uitgave bieden we bovenop het beeldmateriaal verschillende 3D-beelden aan.
Denk maar aan een 3D-voorstelling van een deeltje glucose. Zo ervaar je wetenschappen op een heel nieuwe manier!
DOWNLOAD 3D-APP

Uitdaging!
Houd met deze reeks van experimentjes je ouders, broer of zus voor de gek.
WAT HEB JE NODIG?
een glas
een handvol kiezelsteentjes
een pak keukenzout
water
HOE GA JE TE WERK?
Stap 1
Neem een glas uit de kast en vul het tot aan de rand met kiezelsteentjes.
Is het glas helemaal vol? Als je die vraag stelt, krijg je als antwoord vast: ‘ja, hoor’.
Stap 2
Neem een pakje keukenzout uit de kast en probeer of je nog zout kunt toevoegen aan het glas.
Je zult merken dat er nog heel wat keukenzout in het glas kan toegevoegd worden. De zoutkorrels gaan de ruimte die er nog restte tussen de grotere kiezelsteentjes immers opvullen. In het glas zit nu een mengsel van keukenzout en kiezelsteentjes.
Is het glas nu helemaal vol? Opnieuw zal je publiek waarschijnlijk ‘ja’ antwoorden.
Stap 3
Probeer vervolgens om water toe te voegen aan het glas met de kiezelsteentjes en het keukenzout.
Gelukt? Dan was het glas dus toch niet vol. Een deel van het keukenzout is ook opgelost in het water. Je hebt nu het glas gevuld met verschillende soorten stoffen, een mengsel van stoffen.
Alles gelukt? Prima!
Nu komt het moeilijke werk: zou je de stoffen terug van elkaar kunnen scheiden?
Met enige kennis van mengsels en de nodige scheidingstechnieken moet dat zeker lukken.
` Welke mengsels zijn er?
` Welke scheidingstechnieken gebruiken we om de stoffen terug van elkaar te scheiden?
We zoeken het uit!
Het woord stof speelt een centrale rol in de chemie. Een chemicus maakt dan ook een duidelijk onderscheid tussen een voorwerp en een stof. Chemie houdt zich namelijk niet bezig met het bestuderen van voorwerpen, maar wel met de studie van stoffen waaruit alles wat leeft (mens, dier, plant …) en alles wat niet leeft (aarde, water, lucht …) is opgebouwd.
Wanneer je in het Van Dale-woordenboek de definitie van 'glas' opzoekt, vind je verschillende verklaringen.
glas (het; o; meervoud: glazen; verkleinwoord: glaasje)
1 doorzichtige harde stof
2 glazen plaat = ruit: zijn eigen glazen ingooien, zijn eigen zaak bederven
3 glazen beker: een glas wijn; te diep in het glaasje kijken, zich bedrinken
OPDRACHT 1
stof stof stof voorwerp voorwerp voorwerp
Het woord ‘glas’ kan dus zowel verwijzen naar het voorwerp waaruit we drinken, als naar de stof waaruit dat voorwerp is gemaakt.
Wanneer ‘glas’ duidt op een voorwerp, wordt het meestal gebruikt als een verzamelnaam van stoffen: een raam bevat niet alleen de stof glas, maar ook een aluminium kader. Voor chemici is het raam een voorwerp en zijn glas en aluminium de stoffen of de materialen waaruit het raam is opgebouwd.

Herken het verschil tussen een stof en een voorwerp.
Kijk eens rond in het klaslokaal en noteer enkele voorwerpen en stoffen.

Voorwerp Stof
Een voorwerp is opgebouwd uit stoffen. De verzameling van alle stoffen in de natuur wordt materie genoemd.
LEERDOELEN
Je kunt al:
L het verschil tussen materie, voorwerp en stof toelichten.
Je leert nu:
L uitleggen wat stofeigenschappen zijn (en ze onderscheiden van voorwerpeigenschappen);
L de begrippen aggregatietoestand, massadichtheid, smeltpunt, kookpunt, deeltjesgrootte van een stof , oplosbaarheid (in water) kennen;
L stoffen onderscheiden op basis van stofeigenschappen.

Stoffen kunnen verschillende eigenschappen hebben. Zo kun je thuis een glas met azijn en een glas gevuld met water van elkaar onderscheiden door eraan te ruiken
Suiker en zout herken je misschien door de vorm en de grootte van de kristallen. In je eigen keuken kun je de stof zelfs proeven, als je zeker bent dat het om eetbare stoffen gaat.
Kortom, door je zintuigen te gebruiken, zijn er al heel wat eigenschappen op basis waarvan je informatie kunt afleiden over de identiteit van de stof.
Maar wat als je je zintuigen niet mag gebruiken? Wat als het niet gaat over eetbare stoffen? In een chemisch labo is proeven niet toegestaan! Je zou een giftige stof kunnen aanraken of inslikken. Ook ruiken gebeurt op een veilige manier. Maar zo wordt het natuurlijk moeilijker om stoffen te onderscheiden.
Je kent het verschil tussen een voorwerp en een stof, maar kunnen we stoffen ook onderling onderscheiden van elkaar?
OPDRACHT 2
Vergelijk olijfolie met water.
1 Op basis van welke eigenschappen maak je hier een onderscheid tussen de olijfolie en het water?
•
•
2 Meng nu beide vloeistoffen en noteer je waarneming.
•



Je hebt al enkele eigenschappen gebruikt om stoffen van elkaar te onderscheiden. Zo kun je olijfolie van water onderscheiden op basis van kleur, stroperigheid (viscositeit), oplosbaarheid in water ... Azijn kun je dan weer van water onderscheiden door zijn kenmerkende geur. Maar je hebt ook eigenschappen die verbonden zijn aan het voorwerp en niet de stof.
We maken dan ook een onderscheid tussen twee soorten eigenschappen:
1 Eigenschappen die afhangen van het voorwerp (en dus veranderlijk zijn) = voorwerpeigenschappen
2 Eigenschappen die typisch (eigen) zijn aan een welbepaalde stof (en dus onveranderlijk zijn) = stofeigenschappen
Voorwerpen kunnen uit een of meerdere stoffen bestaan.
OPDRACHT 3
Gaat het om voorwerp- of stofeigenschappen?
Zet een kruisje bij het juiste type eigenschap.
Voorwerpeigenschap Stofeigenschap
a Water is gasvormig boven 100 °C, vloeibaar bij kamertemperatuur en vast onder 0 °C.
b Suiker lost goed op in water, maar olie blijft drijven op water.
c Mijn bril heeft een ronde vorm, de zonnebril van mijn buur is eerder hoekig.
Voor een chemicus zijn het uiteraard de stofeigenschappen die van belang zijn. Je maakte in de voorbije studiejaren, bij verschillende vakken, al kennis met stofeigenschappen zoals aggregatietoestand en glans
WEETJE
Voor de drie aggregatie-toestanden worden de afkortingen v (vast), vl (vloeistof) en g (gas) gebruikt.
Vaak worden echter ook de Engelse afkortingen gebruikt.
Aggregatietoestand Afkorting in het Nederlands Afkorting in het Engels vast v s (solid) vloeistof vl l (liquid) gas g g (gas)
We bekijken nu vier belangrijke stofeigenschappen in detail. Op basis van die stofeigenschappen leren we nadien hoe we stoffen kunnen scheiden van elkaar.
Twee voorwerpen met hetzelfde volume hebben niet noodzakelijk dezelfde massa: een liter water weegt immers meer dan een liter lucht. Twee voorwerpen met dezelfde massa hebben ook niet noodzakelijk eenzelfde volume: 1 kg pluimen en een 1 kg lood wegen evenveel, maar het volume pluimen zal natuurlijk groter zijn.
OPDRACHT 4
Ken je deze grootheden en eenheden nog?
Net als in fysica zijn er bij chemie grootheden en eenheden die je nodig hebt om berekeningen uit te voeren. Vul de tabel aan.
Grootheid Symbool SI-eenheid Symbool volume
Massa en volume zijn twee voorwerpeigenschappen: ze verschillen immers naargelang het voorwerp. Een goudstaaf heeft een grotere massa en een groter volume dan een gouden ring, hoewel het bij beide over de stof goud gaat.
Massadichtheid is niets anders dan de hoeveelheid massa per volumeeenheid. Hoe meer deeltjes in hetzelfde volume voorkomen (hoe groter de massa), hoe groter de massadichtheid (zie afbeelding 1).
En dit is dan weer wél typisch voor een welbepaalde stof: het is een stofeigenschap.
kleine massadichtheid
grote massadichtheid
S Afb 1
Demonstratie van verschil in massadichtheid tussen twee voorwerpen door de massa te vergelijken voor hetzelfde volume
Deze nieuwe grootheid, massadichtheid, heeft dus ook weer haar eigen symbool en eenheid:
GrootheidSymbool - formuleSI-eenheidSymbool
massadichtheid kilogram per kubieke meter

Denk aan je omzettingen! Zo is de eenheid = 10-3 en 1 liter = 1 dm3 en 1 m3 = 1 000 dm3 = 1000 L
Als je olijfolie en water samenbrengt in een proefbuis, merk je dat die stoffen niet mengen, maar twee laagjes vormen. De twee stoffen lossen immers niet op in elkaar. Maar als gevolg van een verschil in massadichtheid zal één stof gaan bovendrijven, namelijk de stof met de kleinste massadichtheid.
Een mooie cocktail maken steunt volledig op de eigenschap van massadichtheid. Verschillende dranken hebben een verschillende massadichtheid en vormen dus mooie laagjes in je glas.
gasvormig boven het kookpunt is een stof meestal in de gasfase.
KOOKPUNT condenseren stollen verdampen smelten
SMELTPUNT sublimeren desublimeren
vloeibaar tussen het smeltpunt en het kookpunt is een stof meestal in de vloeibare fase. vast onder het smeltpunt is een stof meestal in de vaste fase.
S Afb. 2 Smeltpunt en kookpunt als scheidingslijn
OPDRACHT 5
Vul de tabel aan.
Je kunt stoffen niet alleen van elkaar onderscheiden op basis van hun massadichtheid, je kunt ook gebruikmaken van hun kookpunt en hun smeltpunt
toestand bij
Stel, je brengt in drie petrischaaltjes achtereenvolgens een schepje bloem, kristalsuiker en keukenzout.
Als we de schaaltjes willekeurig door elkaar plaatsen, weet je dan nog welk schaaltje welke stof bevat? Als je goed kijkt, zie je dat de bloem sowieso uit veel fijnere korreltjes bestaat dan kristalsuiker en zout. Ook zout en kristalsuiker kunnen we herkennen, door gebruik te maken van diezelfde eigenschap: de deeltjesgrootte. De suikerkristalletjes zijn immers ook groter dan de keukenzoutkristallen, al is het verschil hier al moeilijker waar te nemen.



Water is een belangrijk oplosmiddel, zowel in het dagelijks leven als in het chemielabo. Kijk maar naar je eigen lichaam: dat bestaat voor meer dan de helft uit water. Dat betekent dan ook dat er heel veel stoffen goed oplossen in het water in de cellen van je lichaam. Maar lossen alle stoffen even goed op in water?
Oplosbaarheid in water is een belangrijke stofeigenschap: je kijkt of de stof al dan niet oplost in water. Water dient dan als oplosmiddel, en de stof die je oplost wordt de opgeloste stof genoemd. We noemen de combinatie van opgeloste stof in een oplosmiddel een oplossing

OPDRACHT 6
Welke stoffen lossen op in water?
Je leerkracht brengt achtereenvolgens een mespuntje keukenzout, suiker, zand en krijt in een proefbuisje, dat half gevuld is met water. Vervolgens wordt er met het proefbuisje goed geschud.
1 Noteer je waarnemingen.
2 Besluit
In opdracht 2 had je ook al geprobeerd om olijfolie met water te mengen, ook dat is je niet gelukt. Sommige stoffen lossen dus goed op in water, andere moeilijk tot helemaal niet.

• De stofeigenschap aggregatietoestand is de vorm waarin een stof bij een welbepaalde temperatuur voorkomt: vast, vloeibaar of gasvormig.
• De stofeigenschap glans geeft weer of een stof een zachte schittering heeft als er licht op invalt. Zo hebben metalen (goud, zilver, koper …) een typische glans.
• De stofeigenschap massadichtheid geeft de verhouding weer tussen de massa van een stof en het volume dat die stof inneemt bij een bepaalde temperatuur. Ook die stofeigenschap is specifiek en eigen aan de stof.
• Het kookpunt van een stof is de temperatuur waarbij de stof overgaat van de vloeibare fase naar de gasvormige fase.
• Het smeltpunt van een stof is de temperatuur waarbij de stof overgaat van de vaste fase naar de vloeibare fase.
• We kunnen stoffen onderscheiden op basis van de deeltjesgrootte.
• Ook de oplosbaarheid in water is specifiek voor elke stof.
` Maak oefening 1 en 2 op p. 23.
Maak een mindmap over dit hoofdstuk.
We komen aan het einde van dit hoofdstuk, dus wordt het tijd dat je even samenvat wat je daaruit moet kennen. Om je op weg te helpen, noteerden we alvast het basisbegrip uit dit thema: stofeigenschap. Probeer nu zelf een mindmap rond dat begrip te maken.
In de tabel vind je in elk vak twee stoffen. Geef voor elk duo:
• een stofeigenschap die ze gemeenschappelijk hebben;
• een stofeigenschap die verschillend is voor beide stoffen.

glas en diamant
- gemeenschappelijk:
- verschillend:



goud en koper
- gemeenschappelijk:

- verschillend:

bloemsuiker en kristalsuiker
- gemeenschappelijk:
- verschillend:
Vul de aggregatietoestanden aan.


water en ether
- gemeenschappelijk:
- verschillend:
Verder oefenen? Ga naar
LEERDOELEN
Je kunt al:

L stoffen van elkaar onderscheiden op basis van stofeigenschappen.
Je leert nu:
L een definitie geven voor het begrip zuivere stof;
L een definitie geven voor het begrip mengsel;
L zuivere stoffen en mengsels van elkaar onderscheiden;
L het onderscheid maken tussen homogene en heterogene mengsels;
L mengsels classificeren als homogeen of heterogeen mengsel;
L mengsels benoemen als rook, nevel, oplossing, schuim, suspensie, emulsie, aerosol of legering.
OPDRACHT 7
Markeer wat volgens een chemicus een zuivere stof is.
goud ijzer leidingwater lucht zuurstofgas

We hebben het in het vorige hoofdstuk gehad over stofeigenschappen en hoe je dus stoffen van elkaar kunt onderscheiden. Maar eigenlijk hadden we het daar steeds over hoe je zuivere stoffen van elkaar kunt onderscheiden. In dit hoofdstuk gaan we nu ook mengsels van stoffen bekijken.
Sommige van die mengsels hebben een specifieke naam, en heb je vast al horen waaien: ‘rook’, ‘schuim’ … We onderzoeken eerst het onderscheid tussen zuivere stoffen en mengsels en bekijken vervolgens elk type mengsel eens van dichterbij.
Lucht bestaat eigenlijk uit een verzameling van stoffen, zoals N2 (stikstofgas), O2 (zuurstofgas), CO2 (koolstofdioxide), waterdamp, roetdeeltjes … Ook in het leidingwater dat wij drinken, zit meer dan alleen maar (zuiver) water. Net zoals in flessenwater trouwens: kijk maar eens op het etiket (afbeelding 6). Als we het in de lessen chemie over water hebben, bedoelen we dus de zuivere stof water!
Zoals je hebt geleerd in de eerste graad, wordt een verzameling van verschillende stoffen een mengsel genoemd. Een mengsel bevat dus twee of meer stoffen, die we bestanddelen of componenten noemen.
• Een (zuivere) stof wordt gekenmerkt door welbepaalde waarden voor een hele reeks stofeigenschappen (smeltpunt, kookpunt, massadichtheid …). Bij een zuivere stof zijn die waarden constant en karakteristiek (typisch voor de stof).
• Bij een mengsel van zuivere stoffen zullen de eigenschappen zoals kookpunt, smeltpunt, massadichtheid ... afhankelijk zijn van de samenstelling van het mengsel.
` Maak oefening 1 op p. 30.
2 Soor ten mengsels
Soms zie je aan een mengsel dat het bestaat uit meerdere componenten: we spreken dan over een heterogeen mengsel. Soms kun je de componenten niet meer onderscheiden: we spreken dan over een homogeen mengsel
2.1 Homogeen versus heterogeen
OPDRACHT 8
Welke soorten mengsels worden gevormd?
Je leerkracht plaatst vier erlenmeyers op tafel. In elke erlenmeyer zit 20 mL zuiver water.
Aan erlenmeyer 1 wordt zand toegevoegd, aan erlenmeyer 2 zout, aan erlenmeyer 3 olijfolie en aan erlenmeyer 4 alcohol. De twee stoffen worden lichtjes gemengd, waarna ze op de tafel geplaatst worden.
1 Noteer je waarnemingen. Schrap wat niet past.
Erlenmeyer 1: water + zand
Lost op / Lost niet op Ik kan de twee stoffen onderscheiden: Ja / Nee
Erlenmeyer 3: water + olijfolie
Lost op / Lost niet op Ik kan de twee stoffen onderscheiden: Ja / Nee
2 Breng de vier mengsels onder in de juiste groep. Homogeen mengsel
Voorbeeld
Erlenmeyer 2: water + zout
Lost op / Lost niet op Ik kan de twee stoffen onderscheiden: Ja / Nee
Erlenmeyer 4: water + alcohol
Lost op / Lost niet op Ik kan de twee stoffen onderscheiden: Ja / Nee
Heterogeen mengsel
Uit opdracht 8 kunnen we besluiten dat je na het mengen soms nog steeds de verschillende componenten van het mengsel ziet, maar soms ook niet.
Op basis van je waarnemingen kun je de mengsels in twee groepen indelen:
• homogene mengsels: slechts één soort component te zien;
• heterogene mengsels: verschillende soorten componenten te zien.
Een ander woord voor homogene mengsels is oplossingen (waarbij nog het onderscheid vaste, vloeibare en gasvormige oplossingen wordt gemaakt). Een homogeen mengsel van twee metalen heeft nog een specifiekere naam: dat noemen we een legering

Homogene mengsels of oplossingen zijn mengsels waarin je de verschillende componenten niet meer van elkaar kunt onderscheiden met het blote oog. Een homogeen mengsel van twee vaste metalen wordt een legering genoemd.
Specifieke naam van het heterogene mengsel
Heterogene mengsels zijn mengsels waarin je de verschillende componenten met het blote oog kunt onderscheiden. In tegenstelling tot homogene mengsels, hebben de heterogene mengsels allemaal een specifieke naam. Bij die naamgeving hangt de indeling samen met de aggregatietoestand van de opgeloste stof in het oplosmiddel (= stof die overheerst).
We bekijken in de tabel een paar bekende heterogene mengsels:
Voorbeeld





Aggregatietoestand opgeloste stof
Aggregatietoestand oplosmiddel (= stof die overheerst)
een vinaigrette (van olie en azijn) voor op een slaatje vloeistof vloeistof

Er bestaan verschillende soorten heterogene mengsels die we in een volgend schema kunnen weergeven:
Opgeloste stof Oplosmiddel
rook v in: g nevel vl g schuim g vl
suspensie v vl emulsie vl vl
Heterogene mengsels zijn mengsels waarin je de verschillende componenten kunt onderscheiden met het blote oog.
• Rook is een heterogeen mengsel dat ontstaat bij verbranding. Rook bestaat uit vaste deeltjes, verdeeld in een oplosmiddel in de gasfase.
• Nevel is de specifieke naam voor een heterogeen mengsel van vloeistofdeeltjes in een gasfase. Net als bij rook is de gasfase hier het oplosmiddel.
• Schuim is de naam voor een heterogeen mengsel van gasdeeltjes in een vloeistoffase. We zien hier het tegenovergestelde van een nevel: bij schuim is de vloeistoffase het oplosmiddel, terwijl bij een nevel de gasfase het oplosmiddel is.
• Je spreekt van een suspensie als vaste deeltjes te onderscheiden zijn in een vloeistof.
• Een emulsie ten slotte, is een combinatie van twee te onderscheiden vloeistoffen.
Nu wordt het moeilijker: je hebt vast al weleens het woord aerosol horen vallen. Was je als kind vaak verkouden of moest je vaak hoesten? Dan zou het kunnen dat je ‘aan de aerosol’ moest. Ook mensen met astma moeten vaak hun puffer bovenhalen.
Een aerosol is een heterogeen mengsel waarin de opgeloste fase een vaste stof, vloeistof of combinatie van beide is en het oplosmiddel een gas (meestal lucht).
Het begrip aerosol is een verzamelnaam voor heterogene mengsels van vaste stoffen of vloeistoffen in een gas. De begrippen rook en nevel zijn dus beide voorbeelden van aerosols.
` Maak oefening 2 t/m 5 op p. 30-32.
Maak een mindmap over dit hoofdstuk.
Om je op weg te helpen, noteerden we alvast enkele begrippen uit dit thema. Probeer nu zelf een mindmap rond die begrippen aan te vullen.
ZUIVERE STOF
Gaat het hier om mengsels of zuivere stoffen?
a brons:
b goud:
c zandstorm:
d zuurstofgas:
e gefilterd zeewater:
f gedestilleerd water:
g Zn + water:
Bekijk de voorstellingen van stoffen of mengsels. Omcirkel het juiste antwoord.
a Welke voorstelling stelt een homogeen mengsel voor?
1 - 2 - 3 - 4
b Welke voorstelling stelt een heterogeen mengsel voor?
1 - 2 - 3 - 4
c Welke voorstelling stelt een zuivere stof voor?
1 - 2 - 3 - 4
d Welke overgang stelt het oplossen van zout in water voor?
e Welke overgang stelt het mengen van zand in water voor?
Koppel het juiste mengsel aan de juiste naam. Vul de tabel aan.

antibioticumoplossing: het antibioticumpoeder wordt gemengd met het water


zeepbellen: lucht gevangen in zeepoplossing

een bronzen beeld: een mengsel van tin en koper de stoom die ontstaat in een sauna als je water over hete stenen giet
Schrap in de tabel wat niet past en vul aan.
Mengsel

graffitispray: vloeibare verfdeeltjes in gas onder druk

Homogeen of heterogeen?
homogeen heterogeen
Aggregatietoestand overheersende stof
Aggregatietoestand verdeelde stof
nevel legering schuim suspensie
schuimkraag op een frisse pint bier homogeen heterogeen

een glas wijn: de combinatie van water en drankalcohol homogeen heterogeen vast vloeistof gas vast vloeistof gas
Specifieke naam
Omcirkel de vreemde eend in de bijt en verklaar bondig.
• geldmunt – zilver – halsketting – oorring – bankbiljet
• kwik – schroef – goud – koolstof – zink
• volume – massa – vorm – kookpunt – grootte
• geleidbaarheid – kookpunt – aggregatietoestand – massadichtheid – massa
• zout – zink – zuurstofgas – brons – heliumgas
• CO2- gas in water – leidingwater – modder – wijn – gedestilleerd water
• suikerwater – soep – sangria – champagne – vinaigrette
• zoutwater – water en alcohol – brons – lucht – mayonaise
` Verder oefenen? Ga naar .
LEERDOELEN
Je kunt al:

L mengsels onderscheiden van zuivere stoffen;
L mengsels onderverdelen in heterogeen/homogeen;
L een verdere onderverdeling maken binnen de homogene en heterogene mengsels.
Je leert nu:
L voor een mengsel een geschikte scheidingstechniek voorstellen;
L voor de geschikte scheidingstechniek verklaren op welke eigenschap de scheiding gebaseerd is;
L uitleggen wat een scheidingstechniek is;
L de principes zeven, filtreren, decanteren, centrifugeren, indampen en destilleren beschrijven.

Het vak dat je nu volgt is chemie, of in een oudere benaming: scheikunde. Dat betekent letterlijk: ‘de kunst om te scheiden’. De leerstof voor dit vak omvat uiteraard veel meer, maar we beginnen met inzoomen op het scheiden. We bekijken welke scheidingstechnieken er zijn, waarop ze gebaseerd zijn en wanneer je ze kunt toepassen.
Elk soort mengsel heeft een eigen scheidingstechniek. Als je thuis pasta hebt gekookt en die afgiet door een vergiet, dan ben je aan het scheiden: via het vergiet scheid je pasta van het water. Je baseert je daarbij op het verschil in aggregatietoestand tussen de pasta en het water.
Scheiden is het tegenovergestelde van mengen. De methodes die we gebruiken om mengsels te scheiden in hun afzonderlijke componenten steunen op verschillen in stofeigenschappen.
We gaan dieper in op enkele scheidingstechnieken: sorteren, zeven, filtreren, decanteren, centrifugeren, indampen en destilleren.

WEETJE
Meer weten over grote zeven in de industrie?
Bekijk dan de video.
BEKIJK DE VIDEO
mengsel van een vaste stof en een vloeistof
staaf
Even terug naar je prille jeugdjaren! Je hebt als kind misschien wel met zand en water gespeeld. Zonder dat je het besefte, was je als toekomstig scheikundige mengsels aan het scheiden op het strand. Je gebruikte eenvoudige methodes die de stoffen niet veranderden.
filtreerpapier
trechter
residu filtraat
Allereerst liet je het emmertje even staan; op die manier zonken het zand en de schelpen naar de bodem en kon je het water al grotendeels afgieten. Je liet het zand en de schelpen dus bezinken. De schelpjes uit het zand halen kon je met je handen. Je kon ze opzij leggen en sorteren per soort, door het verschillend uitzicht. De schelpjes waren ook merkelijk groter dan de rest en je maakte gebruik van dat verschil in deeltjesgrootte om ze er makkelijk uit te pikken.
Maar eens je alle schelpjes eruit gehaald had, merkte je ongetwijfeld dat er nog onzuiverheden in het zand zaten. Omdat het verschil in deeltjesgrootte tussen de componenten van je mengsel nu kleiner was, was het niet meer zo eenvoudig om die kleine dingetjes met de hand van het zand te scheiden. Je speelgoedsetje zorgde waarschijnlijk voor de oplossing: door het mengsel te zeven was je in staat om uiteindelijk zand in je emmertje te verkrijgen.
Door te sorteren kun je stoffen met gelijkaardige eigenschappen onderverdelen. Zeven is een eenvoudige techniek om een heterogeen mengsel te scheiden. Die techniek steunt op een verschil in deeltjesgrootte tussen de twee componenten. De grotere korrels kunnen niet door de zeef, maar de kleinere component(en) wel.
In veel gevallen moeten we echter componenten scheiden met een nog veel kleiner verschil in deeltjesgrootte. We kiezen dan voor de techniek van filtreren. Een goed gekozen filter heeft net de juiste structuur om de ene component, het filtraat, wel door te laten en de andere component, het residu, tegen te houden.
Filtreren of filtratie is een eenvoudige scheidingstechniek om een heterogeen mengsel te scheiden. Die techniek steunt op het verschil in deeltjesgrootte: vaste korrels zijn immers groter dan vloeistof- of gasdeeltjes. De vaste korrels kunnen niet door de poriën van de filter, maar de vloeistof of het gas wel. De vaste deeltjes die achterblijven, worden het residu genoemd. Wat door de filter gaat, is het filtraat.
Tijdens een filtratie bekom je zowel de vloeistof als de vaste stof uit het heterogene mengsel. Een variant daarop is het decanteren (of afschenken).
Bij die techniek gebruik je geen filter. Door de vloeistof voorzichtig af te gieten, worden beide fasen van elkaar gescheiden. Dat er twee (of meer) lagen gevormd worden, die je van elkaar kunt scheiden door af te gieten, komt door het verschil in massadichtheid van de componenten.
De afzonderlijke componenten (of fasen) zullen niet even zuiver zijn als bij een filtratie, maar misschien volstaat het resultaat wel voor jou. Een extra filtratie achteraf is nog altijd een mogelijkheid.
Misschien heb je al van deze techniek gehoord bij het schenken van rode wijn? De vaste deeltjes zinken naar de bodem en door de wijn voorzichtig te schenken (decanteren) blijven de vaste deeltjes achter in de wijnfles.

S Afb. 11
Decanteren van wijn
Decanteren is een scheidingstechniek om een heterogeen mengsel (vast-vloeibaar of vloeibaar-vloeibaar) te scheiden. De techniek steunt op het feit dat elke stof zijn eigen massadichtheid heeft en daardoor afzonderlijke lagen zal vormen (eventueel na verloop van tijd). Die lagen kunnen, min of meer, van elkaar gescheiden worden door het afgieten van de bovenste laag.

Decanteren hangt onder andere af van de handigheid van de gebruiker (de fles rode wijn niet te snel uitgieten en onder de juiste hoek ...).
Maar ook het geduld van de wetenschapper wordt soms op de proef gesteld: je mengsel moet immers lang genoeg in rust blijven om voldoende scheiding van de verschillende componenten te krijgen. De zwaartekracht moet zijn werk kunnen doen.
Het is daarom soms interessant om de scheiding van de componenten te versnellen. We helpen de zwaartekracht dan een beetje door het mengsel snelle cirkelvormige bewegingen te laten maken. Bij een slazwierder scheiden we zo de sla van het waswater. Ook de droogkast bij je thuis gaat de inhoud van de machine zeer snel ronddraaien, zodat het linnen wordt gedroogd doordat het water uit je kleren wordt gezwierd.
Die speciale techniek om componenten te scheiden op basis van massadichtheid noemen we centrifugeren. De deeltjes met de grootste massadichtheid worden bij de draaibeweging tegen de buitenwand geduwd. Met speciale apparaten, centrifuges, kan men zo in een labo componenten met een gering verschil in dichtheid scheiden. Die techniek wordt onder andere gebruikt om bloedcellen en bloedplasma van elkaar te scheiden.

WEETJE
Wil je meer weten over centrifugatie in de industrie?
Bekijk dan de video.
Centrifugeren of centrifugatie is een scheidingstechniek om een heterogeen mengsel (vast-vloeibaar of vloeibaar-vloeibaar) te scheiden in verschillende componenten (net zoals decanteren). Ze steunt op het feit dat elke stof zijn eigen massadichtheid heeft en er daardoor afzonderlijke lagen gevormd zullen worden. Met behulp van machines (die het effect van de zwaartekracht versterken) zullen die lagen beter en sneller van elkaar gescheiden kunnen worden dan via decanteren alleen.
Het is mogelijk dat je door filtreren of decanteren een helder filtraat bekomt. Hoewel het lijkt alsof dat een zuivere stof is, kan dat filtraat nog steeds andere opgeloste stoffen bevatten. Het filtraat kan immers zelf nog een oplossing zijn (= homogeen mengsel van een vaste en vloeibare fase of twee vloeibare fasen). Als de opgeloste stof en het oplosmiddel een voldoende groot verschil in kookpunt hebben, is dat echter geen probleem. Door op te warmen tot de temperatuur van de fase met het laagste kookpunt (‘de meest vluchtige stof’), kun je beide fasen van elkaar scheiden. Zo verdampt water veel sneller dan keukenzout. Door een zoutoplossing op te warmen tot 100 °C, zal enkel het water verdampen en het zout (als kristallen) achterblijven. Op die manier kunnen oplossingen dus ook gescheiden worden in de opgeloste stof en het oplosmiddel.

Wil je de indamping van zout (NaCl) zien gebeuren onder een microscoop? Bekijk dan de video.
De techniek van indampen wordt onder meer gebruikt voor het scheiden van zout uit zeewater. Daardoor ontstaan de bekende zoutbanken, die je vaak ziet in de Vendée-streek aan de Franse kust, of in Bolivia.
Indampen is een scheidingstechniek die gebruikt wordt om een homogeen mengsel (vast-vloeistof of vloeistof-vloeistof) te scheiden. Door het opwarmen van het mengsel en het verschil in kookpunt, verdampt de vloeistof (met het laagste kookpunt) en blijven enkel de vaste deeltjes of de vloeistof met het hogere kookpunt over.
De techniek van indampen maakt gebruik van het verschil in kookpunt tussen de componenten om een oplossing te scheiden. De ene stof is veel vluchtiger dan de andere omdat ze een groot verschil in kookpunt hebben. Dat was het geval in het voorbeeld van de zoutoplossing. Bovendien focus je bij indampen slechts op een van beide componenten. Bij het indampen van zoutoplossing in water, houd je alleen het zout over. Daarnaast geldt een groot verschil in kookpunt niet voor alle oplossingen. Als de kookpunten van de componenten dichter bij elkaar liggen, maar ook als je beide componenten later apart wilt gebruiken, gaan we onze techniek moeten verfijnen. We maken opnieuw gebruik van het verschil in kookpunt van de componenten, maar gaan nu destilleren. Destilleren is het mengsel verhitten tot boven het kookpunt van een van de componenten, maar we blijven onder het kookpunt van de andere component. Het component dat uit het mengsel gekookt wordt en apart wordt opgevangen, wordt het destillaat genoemd.
OPDRACHT 9
Wijn destilleren
Wijn is een mengsel van vele componenten. Om het niet te moeilijk te maken, houden we het nu even op een mengsel van water (druivensap) en drinkalcohol (ethanol C2H5OH). De wijn wordt verwarmd tot ongeveer 80 °C. Dat is net boven het kookpunt van ethanol (78 °C), maar onder het kookpunt van water (100 °C). De liebigkoeler wordt continu gekoeld met kraantjeswater.
S Afb. 15
Wat neem je waar?
Besluit
klem
thermometer liebigkoeler
vigreuxkolom
destilleerkolf met mengsel
uitlaat koelwater inlaat koelwater
demovideo: wijn destilleren
bunsenbrander erlenmeyer met destillaat
Opstelling destillatieproces
Uit de wijn verdampt enkel de alcohol, die vervolgens condenseert omdat het koude stromende water in de liebigkoeler de alcoholdampen afkoelt. De verkregen heldere vloeistof die we opnieuw opvangen, noemen we het destillaat.
Destilleren is een scheidingstechniek die gebruikt wordt om homogene mengsels van vloeistoffen of vloeistof en vaste stof, van elkaar te scheiden. Daarbij wordt gebruikgemaakt van het verschil in kookpunt tussen de aanwezige stoffen. Wanneer het mengsel aan de kook wordt gebracht, zal de component met het laagste kookpunt eerst verdampen. De gassen die zo ontstaan worden door een liebigkoeler geleid, zodat ze terug condenseren. Zo verkrijg je het destillaat
` Maak oefening 1 t/m 7 op p. 41-42.
Je hebt nu meerdere scheidingstechnieken leren kennen en misschien zelfs enkele technieken uitgeprobeerd. De componenten werden gescheiden op basis van verschillende stofeigenschappen maar de componenten zelf bleven onveranderd. We maakten gebruik van verschillen in fysische eigenschappen van de stoffen en spreken over fysische scheidingstechnieken
Maak een mindmap over dit hoofdstuk.
Om je op weg te helpen, noteerden we alvast het basisbegrip uit dit thema: scheidingstechniek. Probeer nu zelf een mindmap rond dat begrip te maken.
Op welke stofeigenschap steunen de volgende scheidingstechnieken?
a destillatie:
b filtratie:
Noteer een gepaste scheidingstechniek om de bestanddelen van deze mengsels te isoleren.
a olie en azijn:
b bezinksel in wijn:
c goudklompje en zand:
d bier (alcohol en water):
In het schema zie je verschillende soorten mengsels. Geef voor elk mengsel één voorbeeld.
Geef daarnaast ook weer met welke algemene scheidingsmethode de afzonderlijke componenten bekomen kunnen worden.
Vermeld in de laatste kolom aan de hand van welk kenmerk die scheiding gebeurt.
Type mengsel
Voorbeeld ScheidingsmethodeSteunt op verschil in … heterogeen vast-vloeibaar homogeen vast-vloeibaar homogeen vloeibaar-vloeibaar
Met welke scheidingsmethodes kunnen homogene en heterogene mengsels gescheiden worden?
Plaats telkens een kruisje in de juiste kolom.
Scheidingsmethode
filtratie destillatie
Welke techniek gebruik je om de volgende mengsels te scheiden? Markeer telkens de meest eenvoudige techniek.
Mengsel
Een mengsel van stof A (smeltpunt –10 °C; kookpunt 80 °C) en stof B (smeltpunt 420 °C; kookpunt 1 280 °C).
Stof B is goed oplosbaar in stof A. Je wilt stof B verder onderzoeken.
Een oplossing van kopersulfaat (smeltpunt: 200 °C; kookpunt: 650 °C) in ethanol (smeltpunt: –117 °C ; kookpunt 78 °C). Beide vloeistoffen heb je nodig voor verder onderzoek.
Een mengsel van looddichloride (smeltpunt: 501 °C; kookpunt: 950 °C) en water. Looddichloride lost niet op in water.
Scheidingstechniek
zeven – filtreren –decanteren – centrifugeren –indampen – destilleren
zeven – filtreren –decanteren – centrifugeren –indampen – destilleren
zeven – filtreren –decanteren – centrifugeren –indampen – destilleren
Met welke methodes zijn de volgende mengsels te scheiden in hun bestanddelen?
azijn en water – jenever – kleideeltjes die zweven in water – zand en water
a filtratie:
b destillatie:
Herhaal even.
a Vul de tekst aan.
Een eerste scheidingstechniek die we zagen, was zeven. Die techniek is gebaseerd op een verschil in . Een voorbeeld is schelpjes en zand scheiden. Een tweede scheidingstechniek, ook gebaseerd op het verschil in , is . Daarnaast is er ook , gebaseerd op een verschil in massadichtheid.
Op die manier kun je olie van water scheiden. Indampen steunt dan weer op het verschil in , waardoor je bijvoorbeeld zout uit zeewater haalt. Het water zelf verdampt uiteraard. Wil je toch beide componenten behouden, dan maak je gebruik van de scheidingstechniek . Op die manier kun je uit wijn halen.
b Welke scheidingstechniek kun je gebruiken voor welk soort mengsel en hoe doen ze dat in de industrie?
Ontdek het via de ontdekplaat bij het onlinelesmateriaal.
` Verder oefenen? Ga naar .
Kernbegrippen
ZUIVERE STOFFEN EN MENGSELS
Kernvragen Notities
HOOFDSTUK 1: Hoe onderscheiden we stoffen van elkaar?
Eigenschappen, die specifiek zijn voor een stof en waarmee je stoffen van elkaar kunt onderscheiden, noemt men stofeigenschappen.
Soorten stofeigenschappen:
- aggregatietoestanden
- massadichtheid
- kookpunt
- smeltpunt
- deeltjesgrootte
- oplosbaarheid in water
- aggregatietoestand: de vorm waarin een stof bij een welbepaalde temperatuur voorkomt: vast, vloeibaar of gasvormig
- massadichtheid: geeft de verhouding weer tussen de massa van een stof en het volume dat die stof inneemt bij een bepaalde temperatuur. Als gevolg van een verschil in massadichtheid zal één stof gaan bovendrijven.
- kookpunt van een vloeistof: de temperatuur waarbij een vloeistof overgaat van de vloeibare fase naar de gasvormige fase
- smeltpunt van een vaste stof: de temperatuur waarbij de stof overgaat van de vaste fase naar de vloeibare fase
- Je kunt stoffen onderscheiden op basis van deeltjesgrootte (bv. witte bloem, kristalsuiker, keukenzout)
- De oplosbaarheid in water is specifiek voor elke stof. Water dient dan als oplosmiddel en de stof die je oplost, noem je de opgeloste stof.
HOOFDSTUK 2: Is het een zuivere stof of een mengsel?
(zuivere) stof
mengsel van zuivere stoffen
homogene mengsels
- legering
heterogene mengsels
- Een zuivere stof wordt gekenmerkt door welbepaalde waarden voor een hele reeks stofeigenschappen (smeltpunt, kookpunt, massadichtheid …). Die waarden zijn constant en karakteristiek (typisch voor de stof).
- Een mengsel van stoffen bevat meerdere stoffen. Als we naar kookpunt enz. kijken, zijn de waarden voor die grootheden afhankelijk van de samenstelling van het mengsel.
- Homogene mengsels = mengsels waarin je de verschillende componenten met het blote oog niet meer van elkaar kunt onderscheiden (oplossingen).
Een homogeen mengsel van twee metalen = legering
- Heterogene mengsels = mengsels waarin je ten minste een van de componenten kunt onderscheiden
HOOFDSTUK 2: Is het een zuivere stof of een mengsel?
Op basis van de aggregatietoestand van de twee componenten krijgen sommige heterogene mengsels nog een specifieke naam:
- rook - nevel - schuim
- suspensie - emulsie
- aerosol
vast in gasfase = rook vloeistof in gasfase = nevel gas in vloeistoffase = schuim vast in vloeistoffase = suspensie vloeistof in vloeistoffase = emulsie
vast of vloeistof in gasfase = aerosol (bv. rook, nevel)
HOOFDSTUK 3: Hoe kunnen we een mengsel van stoffen scheiden?
Scheidingstechnieken op basis van:
- verschil in deeltjesgrootte
Zeven
- verschil in massadichtheid
- verschil in kookpunt
De grotere korrels kunnen niet door de zeef, maar de kleinere component(en) wel. Gebruikt voor: heterogene mengsels (v + v, v + vl)
Filteren, filtratie
Vaste korrels zijn groter dan vloeistof- of gasdeeltjes. De vaste korrels kunnen niet door de poriën van de filter, maar de vloeistof of het gas wel. De vaste deeltjes die achterblijven, worden het residu genoemd. Wat door de filter gaat, is het filtraat.
Gebruikt voor: heterogene mengsels (v + vl, vl + g, v + g)
Decanteren
Elke stof heeft zijn eigen massadichtheid, waardoor zich afzonderlijke lagen zullen vormen (eventueel na verloop van tijd). Die lagen kunnen, min of meer, van elkaar gescheiden worden door het afgieten van de bovenste laag.
Gebruikt voor: heterogene mengsels (v + vl, vl + vl)
Centrifugeren
Met behulp van machines (die het effect van de zwaartekracht versterken) zullen die lagen beter van elkaar gescheiden kunnen worden dan via decanteren.
Gebruikt voor: heterogene mengsels (v + vl, vl + vl)
Indampen
Door het opwarmen van het mengsel en het verschil in kookpunt, verdampt de vloeistof en blijven enkel de vaste deeltjes (of de vloeistof met het hogere kookpunt) over.
Gebruikt voor: homogene mengsels (v + vl, vl + vl)
Destilleren
Wanneer het mengsel aan de kook wordt gebracht, zal de component met het laagste kookpunt eerst verdampen. De gassen die zo ontstaan worden door een liebigkoeler geleid, zodat ze terug condenseren. Zo verkrijg je een destillaat. In tegenstelling tot indampen, worden beide componenten behouden.
Gebruikt voor: homogene mengsels (v + vl, vl + vl)
1 Begripskennis
Ik kan de volgende begrippen uitleggen:
• aerosol
• centrifugeren
• decanteren
• deeltjesgrootte
• destilleren
• emulsie
• filtreren
• heterogeen mengsel
• homogeen mengsel
• indampen
• kookpunt
• legering
• massadichtheid
• nevel
• oplosbaarheid van een stof in water
• oplossing
• rook
• scheidingstechniek
• schuim
• smeltpunt
• stof
• stofeigenschap
• suspensie
• voorwerp
• zeven
• zuivere stof
2 Onderzoeksvaardigheden
• Ik kan stoffen onderscheiden op basis van stofeigenschappen.
• Ik kan zuivere stoffen onderscheiden van mengsels op basis van het aantal soorten deeltjes.
• Ik kan typische voorbeelden van homogene en heterogene mengsels herkennen en benoemen
• Ik kan voor een mengsel een geschikte scheidingstechniek voorstellen
• Ik kan voor de geschikte scheidingstechniek verklaren op welke eigenschap de scheiding gebaseerd is.
` Je kunt deze checklist ook op invullen bij je Portfolio.
JANOG OEFENEN
Je maakte tijdens de CHECK IN een mengsel van kiezelsteentjes, zout en water. Je hebt toen weliswaar niet echt getoverd, maar wel gebruikgemaakt van chemische mengsels en scheidingstechnieken.
1 Benoem de mengsels. Schrap wat niet past.
• Het mengsel kiezelsteentjes-zout is een homogeen / heterogeen mengsel.
• Het mengsel kiezelsteentjes-water is een homogeen/ heterogeen mengsel.
• Het mengsel zout-water is een homogeen/ heterogeen mengsel.
We noemen dat ook een oplossing.
2 Bovendien ben je nu ook in staat om dit mengsel te scheiden in zijn afzonderlijke (zuivere) stoffen volgens het juiste scheidingsschema.
Vul het scheidingsschema verder aan. Misschien vind je meer dan een oplossing?

KIEZELSTENEN + ZOUT + WATER
Op basis van:
Scheidingstechniek:
KIEZELSTENEN
ZOUT + WATER
Op basis van:
Scheidingstechniek: destillatie
ZOUT WATER
Er zijn homogene en heterogene mengsels. We gebruiken verschillende scheidingstechnieken om de stoffen terug van elkaar te scheiden: zeven, filtreren, decanteren, centrifugeren en indampen.

H2O of H2O2?
Vraag zeker niet naar H2O2 als je dorst hebt bij de tandarts. H2O2 wordt wel eens zuurstofwater genoemd, maar die bijnaam is misleidend. Zo zal je tandarts jou water (H2O) geven om je mond te spoelen, terwijl zuurstofwater (H2O2) wordt gebruikt om je tanden mooi wit te maken (‘bleachen’).
Dat bleekmiddel kun je beter niet inslikken!


CO of CO2?
Je hebt misschien al gehoord over koolstofmonoxidevergiftiging. De weerpersoon waarschuwt er regelmatig voor in de winter. Als koolstof (element C in hout, aardgas …) verbrand wordt, ontstaat er koolstofdioxide (CO2), tenminste als er voldoende zuurstof (O2) beschikbaar is voor de reactie. Als dat niet zo is, ontstaat er koolstofmonoxide (CO). Koolstofmonoxide is een giftig, geurloos gas. Die ene O extra in de formule maakt dus een groot verschil! Iets verbranden moet dus altijd in een goed geventileerde ruimte waar voldoende zuurstof aanwezig is. Een slecht afgestelde boiler in een kleine ruimte zoals een badkamer heeft al tot veel noodlottige gevolgen geleid.
Zuurstofgas (O2) ken je vast en zeker. We ademen zuurstof in om vervolgens onder andere koolstofdioxide (CO2) uit te ademen. Ozon (O3) inademen is dan weer een slecht idee! Dat gas is erg schadelijk voor de gezondheid.
Aan de andere kant beschermt ozon ons in de hogere atmosfeer wel tegen de schadelijke uv-straling van de zon.

Wetenschappers proberen al eeuwen verschijnselen in de natuur te verklaren. Daarvoor is het belangrijk om de samenstelling van stoffen te kennen. Elke stof krijgt daarom een unieke formule en accuraatheid is daarbij erg belangrijk.
` Hoe noteert een chemicus een stof?
` Welke informatie wordt in de formule van een chemische stof weergegeven?
We zoeken het uit!
OPDRACHT 1
Bekijk enkele voorstellingen van zuivere stoffen en mengsels in de tabel.
1 Kruis bij elke voorstelling aan of het gaat om een zuivere stof of om een mengsel.
mengsel zuivere stof
mengsel zuivere stof
mengsel zuivere stof
2 Leg in je eigen woorden het verschil uit tussen een zuivere stof en een mengsel.
mengsel zuivere stof
OPDRACHT 2
Een chemicus geeft een (zuivere) stof weer met een formule. Beantwoord de vragen.
1 Elke formule bevat verschillende symbolen. Vul in de laatste kolom de volledige naam in die bij het symbool hoort.
2 In de formule van een stof vind je soms een getal in subscript. Bijvoorbeeld "2" in CO2.
a Wat geeft dat getal volgens jou weer? Verklaar.
b Soms staat er geen getal, bijvoorbeeld bij C in CO2. Wat valt je op in de formule?
LEERDOELEN
Je kunt al:
L zuivere stoffen en mengsels van elkaar onderscheiden.
Je leert nu:
L de namen en symbolen van de elementen;
L de symbolische voorstelling van een chemische stof schrijven en interpreteren;
L wat een index en een coëfficiënt zijn;
L een bolstaaf- en bolschilmodel herkennen en interpreteren.

Misschien ben je onder de indruk van de voorstelling van de stof die hier staat? Het is een voorstelling van azijnzuur, het zuur dat opgelost in water azijn genoemd wordt. Zoals je merkt komen er in de voorstelling verschillende bolletjes en kleuren voor. We zoeken uit waarom!
We maken een onderscheid tussen een element en een atoom. Een element is een type of een atoomsoort. Een atoom is een deeltje van dat type. Een element is dus een verzamelnaam voor alle atomen van dezelfde soort.
Stoffen kunnen uit verschillende atoomsoorten of elementen bestaan. Om die te onderscheiden hebben we duidelijke afspraken nodig.
Elk bolletje in de voorstelling van bv. koolstofdioxide (afb. 22) wordt in de formule (CO2) weergegeven door een symbool dat identiek is in de hele wereld. Zo wordt het gas dat we uitademen over de hele wereld voorgesteld als CO2 (koolstofdioxide).
Koolstof/ Carbonium
Het valt je misschien op dat je weinig verstaat van de onderstaande Italiaanse en Finse webpagina. Maar het gebruikte symbool voor koolstof 'C' is wel overal hetzelfde.

Algemeen
Naam: koolstof / carbonium
Symbool: C
Atoomnummer: 6
Groep: koolstofgroep
Periode: periode 2
Blok: p-blok
Reeks: niet-metaal
Kleur: kleurloos of zwart
Generale
Nome: carbonio
Symbolo: C
Numero: 6
Serie: non metalli
Durezza: 0,5 (grafite), 10 (diamante)
Blocco: p
Serie: non metalli

Colore: / diamante grafite


Hiili timantti grafiitti


Yleinen
Nimi: hiili
Tunnus: C
Järjestysluku: 6
Luokka: epämetalli
Lohko: p
Jakso: 2
Ryhmä: 14
Kovuus: 0,5 (grafiitti), 10,0 (timantti)
Väri: musta (grafiitti), väritön (timantti)
Elk element (of elke atoomsoort) heeft een naam en een symbool. Die symbolen zijn in alle talen hetzelfde. De naam van het element verschilt volgens de taal, maar is meestal afgeleid van de oorspronkelijke Latijnse benaming.
CNederlands Frans
Engels
Duits
Spaans Latijn koolstof carbon carbon kohlenstoff carbono carbonium
ClNederlands Frans
Engels Duits
Spaans Latijn chloor chlore chlorine chlor cloro chlorum
Dat uniforme gebruik van dezelfde symbolen maakt het uitwisselen van informatie makkelijker. De verschillende symbolen vind je trouwens terug in het Periodiek Systeem van de Elementen (PSE).
De tabel op p. 52 bevat de voor ons belangrijkste elementen en hun symbolen. Voor een goed begrip van de rest van de leerstof chemie is het belangrijk dat je de namen en symbolische voorstelling van deze elementen onthoudt en kunt toepassen.
SymboolNaamSymboolNaamSymboolNaam HwaterstofSisiliciumHgkwik
HeheliumPfosfor Pb lood
LilithiumSzwavel Co cobalt
Beberyllium Cl chloorIjood
BboorArargonNinikkel
CkoolstofKkalium Pt platina
Nstikstof Ca calcium Cd cadmium
Ozuurstof Fe ijzerUuraan
Ffluor Cu koperSntin
Neneon Zn zink Cr chroom
NanatriumBrbroom Mnmangaan
MgmagnesiumAgzilver Asarseen AlaluminiumAugoud Babarium
` Maak oefening 1 op p. 57.
Je ziet dat:
• sommige elementen één hoofdletter als symbool hebben;
• sommige elementen twee letters als symbool hebben, bestaande uit een hoofdletter gevolgd door een kleine letter.
WEETJE
Sommige elementen zijn genoemd naar een land (polonium, francium), een stad (dubnium: Dubna in Rusland; strontium: Strontian in Schotland), een wetenschapper (einsteinium: Albert Einstein; curium: Marie Curie), Romeinse goden (neptunium, plutonium) of een eigenschap (broom: Gr. bromos = stank; chloor: Gr. chloros = groen).
Meer weten? Bekijk het overzicht via de QR-code. NAAMGEVING ELEMENTEN
• Een element is synoniem voor een atoomsoort. Het is de verzamelnaam voor alle atomen die dezelfde chemische eigenschappen hebben.
• Een atoom is het kleinste deeltje van een element dat nog steeds alle eigenschappen van het element heeft.
• Elk element heeft een naam en symbool.
Wanneer we een chemische stof weergeven, gebruiken we een opeenvolging van de symbolen van de elementen. Zo een voorstelling noemen we een formule
In de fotosynthesereactie zie je vier formules. Je herkent hier onder andere de formule van water (H2O) en glucose (C6H12O6).

De formule van water (H2O) geeft weer dat één waterdeeltje bestaat uit 2 waterstofatomen en 1 zuurstofatoom. Twee atomen waterstof en 1 atoom zuurstof binden tot 1 verbinding: de stof of molecule water.
Het aantal van elk atoom binnen één deeltje wordt aangegeven door een index: Een index wordt altijd rechts onder het symbool van het atoom vermeld.
H2O(1)
Een deeltje water bevat 2 waterstofatomen en 1 zuurstofatoom.
C6H12O6
Een deeltje glucose bevat 6 koolstofatomen, 12 waterstofatomen en 6 zuurstofatomen.
In de fotosynthesereactie zien we ook andere cijfers verschijnen: de coëfficiënt of het voorgetal.
6 CO2 + 6 H2O → C6H12O6 + 6 O2
Dat cijfer wordt vermeld voor een formule en geeft het aantal deeltjes van die stof weer.
Zes deeltjes koolstofdioxide bevatten elk 1 koolstofatoom en 2 zuurstofatomen.
Opgelet: CO2 is de formule van koolstofdioxide. Een coëfficiënt, hier het getal 6, is geen onderdeel van de formule. Het geeft enkel aan hoeveel deeltjes van de stof reageren.
Laten we nu de fotosynthesereactie uit ons voorbeeld eens opnieuw bekijken.
6 CO2 + 6 H2O → C6H12O6 + 6 O2
index coëfficiënt formule
Let op: het cijfer 1 wordt zowel bij de index als de coëfficiënt niet weergegeven.
• het symbool van elke aanwezige atoomsoort of element;
Een formule geeft de samenstelling van een stof weer. Het bevat deze onderdelen:
• de index: geeft het aantal atomen van elke soort weer en wordt rechts onder het symbool vermeld.
Een coëfficiënt geeft aan hoeveel deeltjes er aan de reactie deelnemen.
Voorbeeld: 3 O2: 3 deeltjes zuurstofgas met telkens 2 zuurstofatomen
` Maak oefening 2, 3 en 4 op p. 57-58.
Je ziet hier twee mogelijke modellen om een deeltje water (H2O) voor te stellen: links het bolstaafmodel en rechts het bolschilmodel.

WEETJE
• In het bolstaafmodel worden de bindingen visueel via een staafje weergegeven.
• In het bolschilmodel worden de bindingen niet visueel weergegeven.
Je merkt dat in beide modellen de waterstofatomen (H) wit zijn en het zuurstofatoom (O) rood is. De witte en rode kleur voor de waterstof- en zuurstofatomen is geen vrije keuze. Bolvoorstellingen worden overal ter wereld op dezelfde manier weergegeven.
Elk element heeft zijn eigen kleurcode. De meest voorkomende vind je hier.
Element
waterstof (H)wit
koolstof (C)zwart (grijs)
Kleurcode
Element Kleurcode
stikstof (N)donkerblauw
chloor (Cl) groen zuurstof (O)rood
jood (I) paars
broom (Br)roodbruin
fosfor (P) oranje zwavel (S) geel
fluor (F) lichtblauw
OPDRACHT 3
Bekijk de bolstaaf- en bolschilmodellen.
Vul de tabel verder aan.
Model










Bolstaafmodel of bolschilmodel Formule Aantal moleculen Aantal atoomsoorten? Welke?
bolstaafmodel bolschilmodel 2 CO2
Totaal aantal atomen? Coëfficiënt?
bolstaafmodel bolschilmodel
bolstaafmodel bolschilmodel
bolstaafmodel bolschilmodel
Atomen kunnen met elkaar binden en moleculen vormen; moleculen worden voorgesteld met bolvoorstellingen die aangeven uit welke atomen de molecule bestaat.
Een bolstaafmodel en een bolschilmodel zijn driedimensionale voorstellingen van een deeltje. Beide modellen geven weer hoeveel atomen van alle elementen er voor komen.
` Maak oefening 5, 6 en 7 op p. 58-59.
Vul de tabel aan met de juiste naam of het juiste symbool voor elk element.
Universeel symbool
Vul de tabel aan. In de eerste kolom vind je de coëfficiënten en indexen van een stof.
Coëfficiënten en indexen van de stofTotaal aantal atomen van elk element
Vul de tabel aan.
a Noteer in kolom 2 de formule.
b Noteer in kolom 3 de coëfficiënten en indexen van de stof.
Omschrijving
1 molecule van een samengestelde stof, bestaande uit 2 waterstofatomen, 1 zwavelatoom en 4 zuurstofatomen.
3 moleculen van een enkelvoudige stof, elk bestaande uit 4 fosforatomen.
2 moleculen van een samengestelde stof, bestaande uit 1 stikstofatoom en 2 zuurstofatomen.
4 moleculen van een enkelvoudige stof, elk bestaande uit 3 zuurstofatomen.
Bekijk de tabel
Formule Coëfficiënten en indexen van de stof
In de eerste kolom vind je de coëfficiënten en indexen van een stof.
Vul de tabel verder aan.
Aantal deeltjesCoëfficiënten en indexen van de stofAantal atomen van elk element 3 3 C6H12O6
NH3
Bekijk de bolstaaf- of bolschilmodellen. Duid het juiste antwoord aan.
Model



Bolstaafmodel of bolschilmodel
bolstaafmodel
bolschilmodel
bolstaafmodel
bolschilmodel bolstaafmodel bolschilmodel
Bekijk de bolstaaf- of bolschilmodellen. Vul de tabel verder aan.
Model en chemische formule


Bolstaafmodel of bolschilmodel
bolstaafmodel bolschilmodel
Chemische formule
bolstaafmodel bolschilmodel
Bekijk de bolstaaf- en bolschilmodellen. Vul de tabel verder aan.
Model Bolstaafmodel of bolschilmodel




bolstaafmodel bolschilmodel
bolstaafmodel bolschilmodel
bolstaafmodel bolschilmodel
bolstaafmodel
bolschilmodel
Formule Aantal atomen per element
1

LEERDOELEN
Je kunt al:
L zuivere stoffen en mengsels onderscheiden;
L de symbolische voorstelling van elementen weergeven;
L een chemische formule interpreteren.
Je leert nu:
L het verschil tussen een enkelvoudige en samengestelde stof kennen.
Vorig jaar leerde je het onderscheid tussen een voorwerp en stof definiëren. Je weet dus dat een voorwerp is opgebouwd uit stoffen. Bovendien is er een verschil tussen een zuivere stof en een mengsel. Mengsels heb je ondertussen verder leren onderverdelen in homogene en heterogene mengsels. Vervolgens heb je geleerd hoe mengsels in zuivere stoffen kunnen gescheiden worden. Kunnen we ook de zuivere stoffen verder onderverdelen? We zoeken het uit aan de hand van een experiment.
HOMOGEEN ? HETEROGEEN ?
OPDRACHT 4
Ontleding van water (H2O)
1 Onderzoeksvraag
Is water nog verder te ontleden in andere stoffen?
2 Hypothese
Ik denk dat water wel / niet verder ontleed kan worden in andere stoffen, want ...
3 Benodigdheden
toestel van Hofmann + gelijkstroombron
kraantjeswater
twee proefbuizen
lucifers
houtspaander (of satéstokje)
vloeistoftrechter
kabeltjes
4 Werkwijze 5
Waarnemingen
1 Je leerkracht vult het toestel van Hofmann met water met behulp van de vloeistoftrechter.
2 Er wordt gedurende enkele minuten een gelijkstroom door de vloeistof gestuurd.
3 Aan beide polen wordt gas gevormd, maar hoe zit het met de hoeveelheid gas?
positieve pool negatieve pool
Afb. 24 Opstelling proef van Hofmann
4 Je leerkracht vangt het gevormde gas aan de positieve pool op in een proefbuis.
5 Hij/zij brengt een gloeiende houtspaander in die proefbuis.
6 Wat neem je waar?
Het gas ter hoogte van de positieve pool:
7 Je leerkracht vangt nu het gas aan de negatieve pool op in een proefbuis.
9 Hij/zij brengt een brandende lucifer in die proefbuis.
10 Wat neem je waar?
Het gas ter hoogte van de negatieve pool:
6 Verwerking
Het gas dat aan de positieve pool gevormd wordt, is zuurstofgas. Zuurstofgas bevordert de verbranding en kan op die manier geïdentificeerd worden. Een smeulende houtspaander begint terug te branden als je er zuurstofgas aan toevoegt.
Het gas dat aan de negatieve pool gevormd wordt, is waterstofgas. In combinatie met zuurstofgas en een brandende lucifer geeft dat een luide knal. Vandaar dat waterstofgas ook wel knalgas genoemd wordt. Er wordt water gevormd.
7 Besluit
Formuleer een antwoord op de onderzoeksvraag.
8 Reflectie
Stoffen die nog verder ontleed kunnen worden, noemen we samengestelde stoffen. Samengestelde stoffen bevatten meerdere soorten atomen. Water is dus een voorbeeld van een samengestelde stof, het kan verder ontleed worden in zuurstofgas en waterstofgas. Wetenschappelijk onderzoek heeft aangetoond dat waterstofgas en zuurstofgas niet meer verder ontleed kunnen worden. Stoffen die niet meer verder ontleed kunnen worden, noemen we enkelvoudige stoffen. Enkelvoudige stoffen bevatten één soort atomen.
Stoffen kunnen dus (naar analogie van homogene en heterogene mengsels) verder opgedeeld worden in enkelvoudige en samengestelde stoffen.
Bij de ontleding van water, heb je ontdekt dat water een samengestelde stof is, terwijl waterstofgas en zuurstofgas enkelvoudige stoffen zijn. Hieronder zie je de symbolische en visuele voorstelling van deze stoffen.
Naam Symbolische voorstelling Visuele voorstelling
OPDRACHT 5
Modelvoorstelling
H
Het valt op dat een samengestelde stof bestaat uit meerdere soorten atomen, terwijl een enkelvoudige stof bestaat uit één soort atomen
Enkelvoudige of samengestelde stof Aantal moleculen Aantal atoomsoorten
enkelvoudige stof
samengestelde stof
enkelvoudige stof
Totaal aantal atomen
samengestelde stof 41 (chloor)8
enkelvoudige stof
samengestelde stof
enkelvoudige stof
samengestelde stof 2 2 (waterstof en chloor) 4
enkelvoudige stof
samengestelde stof
enkelvoudige stof
samengestelde stof
STOF
MENGSEL
HOMOGEEN
ENKELVOUDIG HETEROGEEN SAMENGESTELD
• Stoffen die nog verder ontleed kunnen worden, noemen we samengestelde stoffen. Ze bevatten meerdere soorten atomen.
• Stoffen die niet meer verder ontleed kunnen worden, noemen we enkelvoudige stoffen. Ze bevatten één soort atomen.
` Maak oefening 1 t/m 3 op p. 64.
Duid aan of het een enkelvoudige of samengestelde stof is.
Chemische stof
CH3COOH (formule van azijn)
Enkelvoudige of samengestelde stof?
enkelvoudige stof
samengestelde stof
enkelvoudige stof
samengestelde stof
(modelstructuur van cholesterol)

(bolstaafmodel van chloorgas)
S8 (formule van octazwavel)
Duid aan: enkelvoudige stof of samengestelde stof.
a waterstofgas (H2)
b zuiver water
c Bij de verbranding van suiker wordt koolstof, water en CO2 gevormd. Suiker is een …
d Na een kampvuur blijft er van de houtblokken enkel nog roet over. Roet is een …
enkelvoudige stof
samengestelde stof
enkelvoudige stof
samengestelde stof
enkelvoudige stof
samengestelde stof
enkelvoudige stof
samengestelde stof
enkelvoudige stof
samengestelde stof
enkelvoudige stof
samengestelde stof
Plaats in de juiste kolom:
gedestilleerd water – kraantjeswater – koolstof – waterstofgas – zuurstofgas – wijn –zand in een glas water – zout in een glas water
Enkelvoudige stofSamengestelde stofHomogeen mengselHeterogeen mengsel
` Verder oefenen? Ga naar
LEERDOELEN
Je kunt al:

L enkelvoudige en samengestelde stoffen onderscheiden;
L de symbolische voorstelling van elementen weergeven;
L een chemische formule interpreteren.
Je leert nu:
L de naam van enkele enkelvoudige stoffen kennen;
L het verschil kennen tussen een wetenschappelijke naam en een triviale naam.
Slechts enkele elementen komen op aarde voor als enkelvoudige stoffen; dat zijn voornamelijk gassen. Tot die gassen mogen we al zeker de edelgassen rekenen. Maar er zijn nog elementen die als enkelvoudige stof voorkomen. We geven in dit hoofdstuk een overzicht van de enkelvoudige stoffen en hun namen.
We hebben al kort naar het Periodiek Systeem van de Elementen (PSE) verwezen. Je vindt er alle symbolen terug van de al gekende elementen. Je weet nu dat enkelvoudige stoffen slechts één soort atomen bevatten. In het PSE maken we voor de enkelvoudige stoffen een onderscheid tussen:
• niet-metalen (nM): in het geel ingekleurd op het PSE. Daartoe behoren ook de edelgassen (laatste kolom);
• metalen (M): in het rood ingekleurd op het PSE. He
Wil je al meer ontdekken over de edelgassen?
Scan de QR-code en bekijk het filmpje.
Edelgassen komen altijd apart voor in de natuur: ze bestaan uit één atoom. Ze zijn met andere woorden monoatomair Bij edelgassen draagt de stof dan ook gewoon de naam van het element.
Voorbeeld: wat kan He betekenen?
• het element helium
• de stof helium
• een atoom helium

Koolstof wordt voorgesteld door het symbool van het element (C) en draagt gewoon de naam van het element. Nochtans verbindt koolstof als enkelvoudige stof vaak met andere koolstofatomen. Het koolstofatoom doet dat echter op meerdere manieren: de afbeeldingen tonen het voorkomen van grafiet en diamant. Die twee stoffen bevatten enkel koolstofatomen.

Zoals je al weet, wordt het aantal atomen in een verbinding weergegeven door een index
Voor de niet-metalen die uit meerdere atomen in een verbinding voorkomen, gelden deze regels:
• de formule wordt gevormd door het symbool van het atoom te gebruiken, vergezeld van een index die aangeeft hoeveel atomen er in de verbinding zitten;
• de stof draagt de naam van het element, maar de naam van het element wordt voorafgegaan door een Grieks telwoord dat het aantal atomen in de molecule weergeeft.
We sommen die bewuste Griekse telwoorden even op. De gemarkeerde moet je kennen, de andere komen later aan bod.
Voorbeeld:
• O2 of dizuurstof
• N2 of distikstof
Let op! Van sommige enkelvoudige niet-metalen bestaan er meerdere verbindingen. Naast dizuurstof of O2 bevat de hogere atmosfeer bijvoorbeeld ook trizuurstof of O3.
De meeste niet-metalen zullen echter verbindingen van 2 atomen vormen (O2, N2, I2, Cl2 …). We spreken daarom ook over diatomaire moleculen
samenstelling van de
- wetenschappelijke naam of systematische naam - triviale naam of gebruiksnaam
Naast de wetenschappelijke naam wordt vaak een triviale naam voor de stof gebruikt, een soort bijnaam voor de stof zeg maar.
De enkelvoudige niet-metalen die bij kamertemperatuur gasvormig zijn, krijgen vaak een triviale naam waarbij het Griekse telwoord wordt weggelaten en het woordje ‘gas’ aan de naam wordt toegevoegd. In deze tabel vind je enkele voorbeelden:
Enkelvoudige stofWetenschappelijke naamTriviale naam
O2 dizuurstof zuurstofgas
H2 diwaterstof waterstofgas
N2 distikstof stikstofgas
Cl2 dichloor chloorgas
Let op: het Griekse telwoord wordt weggelaten in de triviale naam. Zo is distikstofgas een foute benaming voor N2. Je zegt ofwel distikstof (wetenschappelijke naam) of stikstofgas (triviale naam), maar geen combinatie.
OPDRACHT 6
Bekijk het bolschil- of bolstaafmodel van een aantal niet-metalen.
Vul de bijbehorende formule, wetenschappelijke naam én triviale naam in (als die laatste bestaat).
De stoffen in deze tabel moet je goed kennen! Die zul je later nog veel gebruiken.
Van alle bekende metalen wordt ijzer het meest gebruikt. Omdat ijzer goedkoop, sterk en makkelijk bewerkbaar is, kent het veel toepassingen in vervoermiddelen, schepen en voor het bouwen van grote constructies.
Zuivere metalen bestaan in enkelvoudige vorm uit slechts één atoomsoort.
• De stof krijgt de naam van het element, soms gevolgd door het achtervoegsel ‘-metaal’.
• Als formule wordt het symbool van het betreffende metaal gebruikt.
Voorbeeld
Fe kan dus verschillende betekenissen hebben:
• het element ijzer
• de stof ijzermetaal

• een atoom ijzer S Afb. 30 Een smid bewerkt de stof ijzermetaal om een hoefijzer voor een paard te maken.
Enkelvoudige stoffen krijgen een wetenschappelijke naam:
Edelgassen
• Voor edelgassen wordt de naam van het element gebruikt om de stof te benoemen; zij zijn monoatomair.
• Sommige niet-metalen krijgen een triviale naam. Daarbij wordt de naam van het element meestal gevolgd door ‘gas’. De index wordt daarbij niet gelezen. Voorbeeld: O2= zuurstofgas
• Ozon is de triviale naam voor O3
Niet-metalen
• De wetenschappelijke naam wordt gevormd door de index te lezen als Grieks voorvoegsel, gevolgd door de naam van het element. Voorbeeld: O2 = dizuurstof.
• je moet van 8 niet-metalen de wetenschappelijke naam, triviale naam en formule kennen
• De meeste niet-metalen zijn diatomair, bv. O2
• Uitzonderingen zijn C, S8 en P4 en de edelgassen.
Metalen
Bij metaal wordt het achtervoegsel ‘metaal’ soms toegevoegd aan de naam van het element. Voorbeeld: Fe = de stof ijzermetaal.
` Maak oefening 1 t/m 3 op p. 71-72.
Vul de volgende tabel aan met de wetenschappelijke en triviale namen van enkelvoudige stoffen.
Enkelvoudige stof Wetenschappelijke naam
Triviale naam
kopermetaal stikstofgas
Gebruik het PSE achteraan in je boek en vul de tabel aan.
1 Vul de eerste twee kolommen verder aan met het symbool of de naam van het element.
2 Is het element een metaal (M) of niet-metaal (nM)? Omcirkel in de laatste kolom.
3 Markeer het edelgas (E).
Voorbeeld
De lucht bestaat voor 21 % uit zuurstofgas. Dat gas wordt ook gebruikt als vulgas voor duikflessen en voor het beademen van patiënten in ziekenhuizen.

Je gebruikt het misschien om je boterhammen in te bewaren
Chemische formule Soort enkelvoudige stof
edelgas
niet-metaal
metaal
Wetenschappelijke naam
Triviale naam
edelgas
niet-metaal
metaal Cl Cl
- Ontsmettingsmiddel voor zwembaden, geelgroen gas
- Giftig in hoge concentraties
Gas dat gebruikt wordt in lichtreclames

- Hoofdbestanddeel van lucht (78%)
- Gebruikt om wratten te bevriezen en in blusmateriaal

edelgas
niet-metaal
metaal
edelgas
niet-metaal
metaal
edelgas
niet-metaal
metaal ` Verder oefenen?
HOOFDSTUK 1: Hoe kunnen we een chemische stof voorstellen?
• element of atoomsoort = de verschillende atomen of deeltjes
• atoom = deeltje dat tot bepaalde atoomsoort behoort
Namen en symbolen van elementen
Symbolische voorstelling van een chemische stof
Elk element heeft universeel hetzelfde symbool. Die universele symbolentaal zorgt ervoor dat wetenschappers over de hele wereld met elkaar kunnen communiceren.
Bolstaaf- en bolschilmodellen van een chemische stof
• Het aantal atomen in een molecule wordt weergegeven door een index.
• De index 1 wordt niet vermeld.
• Een coëfficiënt geeft weer wat het aantal moleculen is.
• 3 SO2 staat voor 3 moleculen SO2
• SO2 is de formule.
• 3 moleculen bestaande uit telkens 1 zwavelatoom en 2 zuurstofatomen
• Met een specifieke kleurcode worden de elementen weergegeven.
• Het aantal atomen wordt duidelijk weergegeven.
• In het bolstaafmodel worden de bindingen tussen de atomen visueel getoond.
S Afb. 31
Het bolstaafmodel (L) en het bolschilmodel (R) van water
HOOFDSTUK 2: Kunnen we zuivere stoffen nog verder indelen?
enkelvoudige stof
samengestelde stof
Zuivere stoffen worden verder onderverdeeld in:
- enkelvoudige stoffen kunnen niet meer verder ontleed worden, ze bestaan uit één soort atomen;
- samengestelde stoffen kunnen meestal verder ontleed worden, ze bestaan uit meerdere soorten atomen.
HOOFDSTUK 3: Welke naam krijgen de enkelvoudige stoffen?
edelgassen - zijn monoatomair
- De wetenschappelijke naam wordt gevormd door de naam van het element. Bv.: He = de stof helium
niet-metalen - Niet-metalen bestaan uit 1 of meerdere atomen. De meeste niet-metalen zijn diatomair
- De wetenschappelijke naam wordt gevormd door de index te lezen als Grieks voorvoegsel, gecombineerd met de naam van het element.
- Sommige niet-metalen krijgen een triviale naam. Daarbij wordt de naam van het element gevolgd door ‘gas’. Griekse voorvoegsels worden dan weggelaten.
- Je kent van de volgende niet-metalen de formule, de wetenschappelijke naam en de triviale naam
Chemische formuleWetenschappelijke naam Triviale naam
H2 diwaterstof waterstofgas of knalgas
N2 distikstof stikstofgas
O2 dizuurstof zuurstofgas
O3 trizuurstof ozon
F2 difluor fluorgas
Cl2 dichloor chloorgas
P4 tetrafosfor witte fosfor
S8 octazwavel -
- Koolstof komt als enkelvoudige stof in meerdere vormen voor; het wordt voorgesteld door het symbool C en de naam van het element: koolstof.
metalen - Metalen hebben als formule het symbool van het betrokken metaal.
- De wetenschappelijke naam wordt gevormd door achter de naam van het element ‘metaal’ toe te voegen.
Bv.: Fe = ijzermetaal
JANOG OEFENEN
1 Begripskennis
• Ik ken de symbolen van de elementen.
• Ik ken de namen van enkelvoudige stoffen (metalen, niet-metalen).
• Ik ken de betekenis van een index en een coëfficiënt.
• Ik ken het verschil tussen een enkelvoudige en een samengestelde stof.
• Ik kan zuivere stoffen verder onderverdelen in enkelvoudige en samengestelde stoffen.
• Ik ken het verschil tussen een wetenschappelijke naam en een triviale naam.
2 Onderzoeksvaardigheden
• Ik kan een chemische formule interpreteren
• Ik kan een bolstaaf- en bolschilmodel herkennen en interpreteren.
• Ik kan de symbolische voorstelling van een chemische stof schrijven en interpreteren.
` Je kunt deze checklist ook op invullen bij je Portfolio.
Eigen notities
1 De twee kinderen van de tandarts hebben dorst. Ze lopen naar binnen en zien in de koelkast twee glazen staan. Van welk glas drinken ze best niet?


2 Een koppel is aan het barbecuen wanneer het plots begint te regenen. Ze zetten de barbecue binnen. Na een tijdje vallen ze beiden flauw. Door zuurstofgebrek is er een gevaarlijk gas gevormd.
a Welk van de onderstaande voorstellingen zou dat gas kunnen zijn? b Ken je de naam van het gevaarlijke gas, dat ook wel de stille moordenaar genoemd wordt?
3 Jouw leerkracht werd getroffen door het coronavirus en komt terecht in het ziekenhuis met ademhalingsproblemen. Welke fles gas moet de verpleging toedienen?


Kleine fouten in formules kunnen grote gevolgen hebben. Een stof wordt genoteerd in een formule. Ze geeft informatie over het soort atomen dat in de stof voorkomt en het exacte aantal waarin dat gebeurt. Een stof wordt driedimensionaal voorgesteld in een model waarbij elk element een specifieke kleur heeft.

Bekijk de infografiek en beantwoord de vragen.
1 Uit hoeveel procent water bestaat het lichaam van een 14-jarige?
2 Waarvan is het percentage water in je lichaam volgens deze figuur afhankelijk?
3 Op welke manieren verliest je lichaam water?
4 Hoe weet je wanneer je watergehalte in je lichaam te laag is?
5 Waaraan merk je dat je dorst hebt?
6 Wat doe je als je dorst hebt?
71 % van de wereldbevolking beschikt thuis over drinkwater.
18 % moet gemiddeld 30 minuten lopen om drinkwater te bereiken.
Schoon drinkwater mag dan door velen als een fundamenteel recht worden beschouwd, maar liefst 800 miljoen mensen op deze wereld hebben er geen toegang toe. In bepaalde delen van de wereld is drinkbaar leidingwater niets meer dan een droom en voor veel mensen komt hun drinkwater uit vervuilde rivieren en beken. Als we water blijven verbruiken zoals we dat vandaag doen, bestaat het risico dat we tegen 2030 een watertekort hebben van 40 %. Dat zou voornamelijk het gevolg zijn van de steeds toenemende wereldbevolking. Als de bevolking groeit, groeit ook de consumptie. Om aan die groeiende vraag te kunnen voldoen, zal ook de voedingsindustrie steeds meer water nodig hebben. Daarom wil de zesde Duurzame Ontwikkelingsdoelstelling (SDG 6) universele toegang tot water en sanitaire voorzieningen voor iedereen verzekeren. Meer weten over SDG6? Scan de QR-code.
INFO SDG 6
` Welke veranderingen kan je lichaam waarnemen?
` Hoe neemt je lichaam veranderingen waar?
` Kunnen planten veranderingen waarnemen?
` Hoe reageren organismen op veranderingen in de omgeving?
We zoeken het uit!
844 miljoen mensen hebben geen enkele toegang tot veilig drinkwater. Onzuiver drinkwater veroorzaakt 502 200 doden per jaar.
OPDRACHT 1
Bekijk de grafiek en beantwoord de vragen.
0 1 2 3 4 5 tijd (in jaren) populatie vossen en konijnen
S Grafiek 1 Populatie vossen en konijnen doorheen de tijd
1 Wie zijn de jagers?
2 Wie zijn de prooien?
3 Wat gebeurt er met het aantal jagers als het aantal prooien toeneemt?
4 Wat gebeurt er, door die verandering van het aantal jagers, daarna met het aantal prooien?
5 Wat gebeurt er vervolgens met het aantal jagers?
6 Hoe noem je de relatie tussen vossen en konijnen?
7 Welk begrip uit de eerste graad ken je die de slingerbeweging in de grafiek tussen konijnen en vossen weergeeft?
De slingerbeweging waarbij het aantal organismen zichzelf in evenwicht houdt, noemen we het ecologisch evenwicht of biologisch evenwicht. De relatie tussen prooi en jager is een dynamisch evenwicht
Dat dynamisch evenwicht is het gevolg van een jager-prooirelatie. Die relatie is een systeem waardoor het aantal jagers en prooien tussen bepaalde grenzen wordt gehouden. Dat is nuttig voor het ecosysteem want door het behouden van die aantallen binnen de grenswaarden kan het evenwicht in een ecosysteem blijven bestaan.
Ook bij één organisme is het belangrijk dat het organisme steeds goed functioneert. We zoeken nu uit of ook individuele organismen over systemen beschikken om hun werking te regelen zodat ze kunnen blijven bestaan.
In hoofdstuk 1 zoek je uit hoe de werking van één organisme geregeld wordt. In hoofdstuk 2 bekijk je hoe het evenwicht binnen een organisme behouden wordt.
LEERDOELEN
Je kunt al:
M omschrijven hoe het dynamisch evenwicht in een ecosysteem wordt geregeld.
Je leert nu:
M de verschillende stappen in een regelsysteem binnen een organisme opsommen;

M dat een prikkel een regelsysteem activeert;
M de rol van receptoren, conductoren en effectoren beschrijven;
M aantonen dat planten en dieren als systeem functioneren;
M het nut van een regelsysteem in ons lichaam begrijpen.
OPDRACHT 2
1 Wat zou je doen?
Je wordt voortdurend blootgesteld aan allerlei veranderingen rondom je. Bij het ontwaken is fel licht heel vervelend. Onderweg naar school kun je erg schrikken van een gevaarlijk uitziende hond. In de schoolrefter ruikt het misschien naar heerlijke frietjes. Tijdens de winter is het soms erg koud buiten. Je lichaam neemt al die veranderingen waar en kan daarop reageren. Maar hoe verloopt dat precies? Hoe neemt je lichaam die activiteiten waar? En wat gebeurt er dan verder in je lichaam? Hoe vangt je lichaam die veranderingen op?
Beantwoord de vragen bij de volgende situatie: je ziet een gevaarlijke hond op je afkomen.
2 Lees de vragen en noteer het antwoord in de rechterkolom:
1 Wat is de verandering in je omgeving?
2 Met welke structuur in je lichaam merk je de verandering op?
3 Hoe geraakt de informatie over de verandering tot bij de uitvoerende structuur?
4 Welke structuur in je lichaam voert de reactie uit?
5 Wat is de reactie?
hormoon (adrenaline)
OPDRACHT 2 (VERVOLG)
3 Wat is het nut van deze reactie?
Uit opdracht 2 blijkt dat je lichaam voordeel haalt door gepast te reageren op veranderingen in je omgeving. Dat voordeel bereik je niet in een oogopslag. Dat gebeurt in verschillende stappen:
prikkel waarneembare verandering
actie als antwoord op de prikkel 1 2 5 4 3
receptor herkent en vangt de prikkel op conductor geleidt informatie effector voert de reactie uit reactie
VOORBEELD BLAFFENDE HOND
2
Om de hond waar te nemen, maak je gebruik van receptoren in je ogen.
prikkel receptor
1 Allereerst moet er een verandering zijn. Zo’n verandering noem je een prikkel
2 Een organisme moet die verandering kunnen waarnemen. Organismen hebben daarvoor structuren die de prikkels kunnen waarnemen of opmerken. Die structuren noem je receptoren
3 De reactie op een prikkel treedt zelden op in het orgaan dat de prikkel waarneemt. De informatie over de prikkel wordt vaak vervoerd naar een ander lichaamsdeel. Dat lichaamsdeel zal daarna pas reageren. De informatie over de prikkel wordt via zenuwbanen of via signaalstoffen in je bloed, hormonen, overgebracht. Zenuwbanen en hormonen spelen dan de rol van een geleider of conductor
4 Het lichaamsdeel dat de reactie uitvoert, heet de effector Er kunnen tegelijk meerdere effectoren reageren.
5 De reactie is dus de activiteit die de effector onderneemt als antwoord op een prikkel. Het organisme haalt er voordeel uit.
3
Bij het zien van de blaffende hond wordt een signaal via je zenuwbanen doorheen je lichaam gestuurd. Daardoor maakt de bijnier adrenaline aan. Adrenaline is een stof die zich doorheen je lijf verplaatst en een signaal bij je (hart)spieren brengt. Het is een hormoon
conductor bijnier
conductor
effector
1
Je ziet een gevaarlijke hond.
4
Hormonen, zoals adrenaline, stimuleren meerdere effectoren tegelijkertijd. Door adrenaline neemt je spierkracht toe, pompt je hart sneller en stijgt je ademhalingsritme.
5 REACTIE
Doordat de spierkracht toeneemt en je hart snel pompt, kun je vluchten.
S Afb 32
Verband tussen receptoren, conductor en effectoren
Er gebeurt iets gelijkaardigs wanneer je ruikt aan een zakje chips dat net is geopend.
VOORBEELD JE OPENT EEN ZAKJE CHIPS
prikkel
1 receptor
De prikkel die we waarnemen is de plotse aanwezige geur van chips die zich bij het openen van het zakje verspreidt.
3
2 reactie
In je neus zit een groep van gespecialiseerde reukcellen. Dat zijn de receptoren die de geur van chips opmerken.
4 conductor
Bij het ruiken van chips wordt er via je zenuwbanen een signaal doorheen je lichaam van je reukorgaan naar je speekselklier verplaatst.
5 effector
Je speekselklieren zijn een effector: zij maken verteringsstoffen aan.
Dankzij het produceren van speeksel kun je chips makkelijker verteren. Dat is de reactie als antwoord op de prikkel.
Een regelsysteem is het geheel van geordende processen dat ervoor zorgt dat een organisme gepast reageert op waarneembare veranderende omstandigheden. Het regelsysteem is dus nuttig voor het organisme.
Om in te spelen op veranderingen in de omgeving beschikt een organisme over gespecialiseerde structuren:
• Een prikkel is een waarneembare verandering waarop een organisme kan reageren. Om in te spelen op waarneembare veranderingen beschikt een organisme over gespecialiseerde structuren
• Een receptor is een structuur die bepaalde prikkels herkent en opvangt
• Het zenuwstelsel en het hormonaal stelsel zorgen voor de informatieoverdracht tussen receptor en effector; het zijn de geleiders of conductoren
• Effectoren zijn spieren of klieren die de reactie uitvoeren.
• De reactie zelf is een actie van het organisme als antwoord op de prikkel. De reactie wordt altijd door de effector uitgevoerd.
` Maak oefening 1 t/m 5 op p. 83-84.
1 2 5 4 3
prikkel waarneembare verandering receptor herkent en vangt de prikkel op conductor geleidt informatie effector voert de reactie uit reactie actie als antwoord op de prikkel
Wat is het verschil tussen een receptor en een effector?
Benoem de opeenvolgende processen van het regelsysteem in het volgende voorbeeld:
Atleten van de 100 m sprint schieten uit de startblokken zodra ze het startschot horen. Hun spieren komen in actie door signalen die van de hersenen komen. Die hebben informatie ontvangen van de oren.
prikkel

Benoem de opeenvolgende processen van het regelsysteem in het volgende voorbeeld: Regenwormen hebben fotoreceptoren in hun huid. Daarmee kunnen ze geen beelden zien maar wel de lichtintensiteit waarnemen. Regenwormen verkiezen een donkere omgeving, ze leven onder de grond. Bij belichting kruipen ze van het licht weg.
Voorbeeld
Lees de tekst.
Zofia is met de bus onderweg naar school. Zoals gewoonlijk kunnen de medepassagiers meeluisteren naar de favoriete muziek van Zofia. Rayan is met het verkeerde been uit bed gestapt en maakt Zofia in gebarentaal duidelijk haar muziek stiller te zetten. De muziek blijft even hard klinken. Rayan haalt vrij brutaal een oortje uit Zofia haar oor. Dat leidt tot een fikse discussie.
a Verbind elk begrip met de overeenkomstige uitleg.
prikkel
receptor
effector
reactie
b Noteer op de tekening de begrippen:
Een handeling (actie) die volgt op een andere handeling en daarmee in een zeker logisch verband staat.
Een orgaan dat een reactie op een prikkel mogelijk maakt, bv. een spier of een klier.
Een verandering in een organisme of in de omgeving van een organisme die sterk genoeg is om een reactie van het organisme uit te lokken.
Vangt prikkels op.
prikkel – receptor – effector – reactie
Een baby zuigt aan de borst van de moeder. Daardoor worden in het lichaam van de moeder hormonen (oxytocine en prolactine) aangemaakt. Die hormonen stimuleren de melkafgifte. Er wordt moedermelk aangemaakt in de melkklier van de borst en de spieren rond de melkgangen worden samengetrokken zodat de melk in het mondje van de baby spuit.
a Vul het regelsysteem in.
prikkel
receptor
conductor Hormonen / Zenuwen
effector
reactie
b Wat is het nut van deze reactie?
LEERDOELEN
Je kunt al:
M de rol van receptoren, conductoren en effectoren beschrijven:
M de werking van een regelsysteem beschrijven:

M uit voorbeelden afleiden dat regelsystemen nuttig zijn voor een organisme.
Je leert nu:
M een technisch systeem met een biologisch systeem vergelijken;
M aantonen dat dieren en planten als een systeem functioneren om een evenwicht te behouden;
M het begrip homeostase omschrijven.
Om zichzelf in stand te houden en te beschermen moeten organismen veranderingen in de omgeving en in hun inwendig milieu kunnen waarnemen en op een gepaste manier reageren. Zo kunnen organismen in evenwicht blijven. Aan de hand van voorbeelden bij dieren en planten onderzoek je hoe organismen voor het behoud van een inwendig stabiel milieu kunnen zorgen.
Vooraleer je leert hoe een regelsysteem voor een evenwicht zorgt bij dierlijke organismen, bestudeer je eerst een technisch regelsysteem. Bekijk daarvoor het voorbeeld van hoe een airco de temperatuur in een auto regelt.
OPDRACHT3
Hoe wordt de temperatuur in een wagen geregeld?
Zonder verwarming tijdens de winter zou het niet aangenaam zijn in de auto: ijskoud en met aangedampte ruiten. In de zomer willen we het ook niet te warm hebben in de auto. Gelukkig heeft een auto een systeem dat de temperatuur regelt en ervoor zorgt dat het in de winter aangenaam warm is en in de zomer lekker fris: de airco. Stel, je wilt graag dat de temperatuur in de wagen 20 °C is. De thermostaat meet de temperatuur in de wagen. De gegevens worden gecontroleerd en als de temperatuur verschilt van de gevraagde temperatuur, krijgt de airco het commando om warme of koude lucht te blazen. De temperatuur wordt zo aangepast aan de gewenste waarde.

OPDRACHT 3 (VERVOLG)
Ontwerp zelf een schema waarin je de werking van een airco probeert voor te stellen. Denk goed na, er doen zich twee situaties voor. Overleg met je buur.
OPDRACHT 4 ONDERZOEK
1 Onderzoeksvraag
Zodra de gewenste temperatuur bereikt is, stopt het toestel met werken. In de airco zit een controlesysteem dat alle bovenstaande opdrachten regelt, een technisch regelsysteem
Ook in ons lichaam wordt de temperatuur geregeld. Om goed te functioneren zorgt je lichaam ervoor dat de temperatuur rond een waarde van 37°C schommelt, zodat het inwendig milieu optimaal blijft. Hoe dat wordt geregeld in je lichaam, bestudeer je in de volgende opdrachten.
Wat gebeurt er in je lichaam als de omgevingstemperatuur wijzigt?
2 Hypothese
Noteer jouw hypothese. Tip: denk aan de twee situaties ‘te warm’ en ‘te koud’.
• Als dan
• Als dan
3 Benodigdheden
OPDRACHT 4 (VERVOLG)
4 Werkwijze
Opdracht 1
1 De rechterhand is ingepakt met een plastic zak gedurende een vijftal minuten.
2 Er wordt vervolgens met een ijsblokje over de linkerarm gewreven.
rechterhand
5 Waarneming
Opdracht 2
1 Er is één hand in een kom warm water geplaatst en één hand in een kom met koud water.
2 Na enkele minuten worden de handen uit het water gehaald.
Opdracht 1
Opdracht 2 1 2
Opdracht 1
1 Wat stel je vast bij de hand die in de plastic zak is ingepakt?
2 Wat stel je vast wanneer je met een ijsblokje over de arm wrijft of het coldpack op de arm legt?
Opdracht 2
Vergelijk de kleur van de hand die in het koude water zat met de kleur van de hand in het warme water.
Wat stel je vast?
OPDRACHT 4 (VERVOLG)
6 Verklaring
Je stelde de verschillende reacties van het lichaam op koude- en warmteprikkels vast. Brainstorm nu over de functies van elk van deze reacties.
Reactie
kippenvel krijgen
bibberen
zweten
bloedvaatjes vernauwen
bloedvaatjes verwijden
Vul in wat je hieruit kunt afleiden.
- Als de lichaamstemperatuur stijgt, dan Als gevolg daarvan zal je lichaam
Functie
- Als de lichaamstemp daalt, dan . Als gevolg daarvan zal je lichaam .
7 Besluit
Noteer een besluit.
Verschillende structuren in de huid zorgen voor de regeling van de lichaamstemperatuur. Bovenstaande reacties kunnen pas uitgevoerd worden als die structuren geactiveerd worden. Nu zoek je uit welke structuren er in onze huid aanwezig zijn om reacties op temperatuursveranderingen uit te voeren.
OPDRACHT 5
Ontdek welke structuren in de huid zorgen voor de regeling van de lichaamstemperatuur.
Bestudeer de afbeeldingen van de huid aandachtig en beantwoord de vragen.
talgklier
3 4
haar
1 huidporie
haarspiertje
2 5 6
haarzakje
haarwortel
S Afb 33
zweetklier
Schematische voorstelling van een verticale doorsnede doorheen de huid
de haartjes liggen plat
zweetklieren worden gestimuleerd
S Afb. 34
Reactie van de huid bij warmte
haarspiertje is ontspannen
spiertjes doen bloedvaten verwijden
zweten is verminderd
1 pijnreceptor
2 haarzakzenuwvezel
3 warmtereceptor
4 koudereceptor
5 druklichaampje
6 tastlichaampje
adertje bloedvaatje slagadertje
haarspiertje trekt samen de haartjes staan recht
spiertjes in de bloedvaten trekken samen
S Afb. 35
Reactie van de huid bij koude
OPDRACHT 5 (VERVOLG)
a Op basis van de reacties van je huid op temperatuurveranderingen stel je vast dat de huid structuren bezit om die veranderingen waar te nemen. Zoek op afbeelding 2 welke structuren in de huid voor die waarneming verantwoordelijk kunnen zijn.
b Welke structuur zorgt voor het zweten van de huid?
c Bestudeer afbeelding 34. Wat stellen de geel gekleurde verbindingen voor?
d Bekijk aandachtig het haartje op afbeeldingen 34 en 35. Welke structuur kun je ontdekken die ervoor zorgt dat de haartjes rechtop gaan staan?
e Hoe komt onze huid aan zijn rode/witte kleur?
f Welke structuren zijn daarvoor verantwoordelijk? Kijk goed naar afbeeldingen 34 en 35.
g Vul de tabel aan.
warme omgeving
1 prikkel koude omgeving
h Wat is het nut van deze reacties?
Op basis van de opdrachten over de temperatuurregeling van de huid kun je vaststellen dat het regelsysteem van dieren het lichaam kan helpen om een inwendig evenwicht te bereiken. Heb je het te koud, dan komen je haartjes recht, vernauwen je bloedvaten en ga je bibberen. Daardoor verlies je minder warmte en ga je via de spierwerking van het bibberen warmte genereren. Heb je het te warm, dan ga je zweten en gaan je bloedvaten verwijden om extra warmte kwijt te raken. Het gevolg daarvan is dat je lichaamstemperatuur weer rond een optimale waarde van 37°C wordt gebracht.
OPDRACHT 6
Meerdere structuren in de huid helpen mee aan de regeling van de lichaamstemperatuur. Samen vormen ze een biologisch regelsysteem. Die regeling kun je vergelijken met het technisch regelsysteem, namelijk de thermostaat, dat de temperatuur in de auto regelt. Vul de tabel aan.
technisch systeem biologisch systeem verandering De temperatuur verhoogt. Je lichaamstemperatuur verhoogt.prikkel ontvanger receptor
verwerker geleider of conductor uitvoerder effector
reactie reactie
Zowel een technisch systeem als een biologisch systeem wordt geactiveerd door een temperatuursverandering. Die verandering wordt waargenomen door een ontvanger of een receptor. De ontvanger of receptor zet die verandering om in een signaal. De geleider of conductor geleidt de informatie van dat signaal naar de uitvoerder of effector. De uitvoerder of effector voert de reactie uit zodat de gewenste temperatuur terug bereikt wordt.
Uit opdrachten 5 en 6 kun je afleiden dat de reactie van een organisme nuttig is voor het organisme. Het regelsysteem kan ervoor zorgen dat veranderingen van meerdere factoren of parameters in je lichaam, zoals temperatuursveranderingen, binnen bepaalde grenzen worden gehouden.
Op die manier handhaaft je lichaam een evenwichtige situatie, zodat het optimaal kan functioneren. Omdat die evenwichtige situatie niet constant is maar rond een bepaalde waarde schommelt, noem je dat een dynamisch evenwicht.
Het behouden van een dynamisch evenwicht is de homeostase. Het zenuwstelsel en het hormonaal stelsel spelen een belangrijke rol bij het geleiden en verwerken van informatie en bij het op elkaar afstemmen of coördineren van de werking van de verschillende organen. Dat zie je bij de regeling van de lichaamstemperatuur of bij het gepast reageren op een gevaarlijke hond.
Conductor De zenuwbanen en de hersenen geleiden de informatie van de thermoreceptoren naar meerdere effectoren.
3
Signaal
3 5 5 4 4 1 2 2 1 1
Signaal
Conductor
Veranderingen in en rondom het lichaam kunnen bepaalde parameters, zoals lichaamstemperatuur, beïnvloeden.
Homeostase is het stabiel houden van de inwendige parameters. Homeostase of het bereiken van een stabiele toestand gebeurt met behulp van regelsystemen. Tijdens die regeling schommelen de parameters rond een evenwichtswaarde.
De conductoren geleiden de informatie van de receptor tot bij de effector en zorgen ervoor dat het lichaam homeostase bereikt.
Zowel het zenuwstelsel als het hormonaal stelsel spelen een belangrijke rol bij de homeostase van tal van lichaamsparameters.
` Maak oefening 1 t/m 3 op p. 96.
2 Hoe zorgt een regelsysteem voor evenwicht bij planten?
OPDRACHT 7 ONDERZOEK
Hoe gebeurt de verdamping via de huidmondjes?
1 Onderzoeksvraag
Hoe gedragen huidmondjes zich in een droog en in een vochtig milieu?
2 Hypothese
Als de plant zich in een droog milieu bevindt, dan zijn de huidmondjes .
Als de plant zich in een vochtig milieu bevindt, zijn de huidmondjes
3 Benodigdheden
4 Werkwijze
1 Van een blad van prei werden twee stukjes dekweefsel losgemaakt.
2 Het eerste stukje werd in een druppel water gebracht.
3 Het tweede stukje werd gedroogd op een kookplaat.
5 Waarneming
Bestudeer het verschil.
Vochtige omgeving preparaat met druppel water

6 Verwerking
a Welk weefsel herken je?
Droge omgeving preparaat na het drogen op de kookplaat

Vergroting: 400x
b Hoe zien de huidmondjes eruit als de omgeving droog is?
c Hoe zien de huidmondjes eruit als de omgeving vochtig is?
7 Verklaring
a Wat is de oorzaak van deze wijziging?
b Hoe reageert de plant hierop?
c Wat is het nut van deze reactie?
- In droge omstandigheden , zodat het aanwezige water
- In vochtige omstandigheden , zodat het aanwezige water . Zo houdt de plant zijn vochtgehalte
8 Besluit
Noteer je besluit.
De plant regelt haar watergehalte met behulp van huidmondjes. Als de omgeving droog is, zal het water gemakkelijker uit de bladeren verdampen en verliest de plant water. De cellen zullen dan minder water bevatten, waardoor de vloeistofdruk in de cellen daalt. Die cellen verliezen daardoor hun stevigheid. Ook de sluitcellen worden slapper en liggen dan tegen elkaar aan. Zo sluiten ze het huidmondje af. De verdamping via die weg vermindert en het water in de plantencellen kan vanuit de bodem worden aangevuld. Bij voldoende water zijn de cellen stevig, dus ook de sluitcellen van de huidmondjes. In die opgezwollen toestand ontstaat er een opening tussen beide cellen en kan het water verdampen.
Naargelang de waterbehoeften van de plant kunnen de huidmondjes zich openen of sluiten. Het hele systeem noem je de waterhuishouding en wordt geregeld door plantenhormonen. Zij zorgen voor de verspreiding van informatie over de gehele plant. Je leert hier later meer over.
OPDRACHT 8
Planten beschikken over een regelsysteem om hun vochtgehalte op peil te houden.
Beantwoord de vragen over dat regelsysteem.
a Wat is de prikkel om dit regelsysteem te activeren?
b Hoe geraakt de informatie over de verandering tot bij de huidmondjes?
c Welke structuur in de plant, de effector, reageert op die prikkel?
d Wat is de reactie van de plant op die prikkel?
e Wat is het nut van deze reactie?
Net zoals bij dieren, houden planten hun inwendig milieu zo stabiel mogelijk. Ook bij planten is er dus homeostase. We kunnen besluiten dat ook planten organismen zijn die zich als systeem in stand houden. Ze beschikken net als dieren over mechanismen die helpen om een evenwichtstoestand te bewaren. Op die manier zijn de reacties van de planten erop gericht om de overlevingskans te verhogen.
S Afb 37 Het openen en sluiten van de huidmondjes wordt geregeld door meerdere factoren, zoals licht en luchtvochtigheid, maar ook door plantenhormonen.
Planten beschikken over regelsystemen om gepast te reageren. Bij veranderende gebeurtenissen en processen rondom het organisme streven ze naar het behoud van een evenwicht: homeostase.
` Maak oefening 4 t/m 7 op p. 97.
Je wilt met je fiets constant aan 20 km/u rijden. Dat is de gewenste snelheid. Je kilometerteller op je fiets geeft de juiste snelheid aan. Je rijdt echter in een heuvelachtig landschap.
a Stel een schema op voor de situatie waarin je meer dan 20 km/u rijdt én waarin je minder dan 20 km/u rijdt.
b Duid in het schema elke keer de receptor aan in het rood, de conductor in het blauw en de effector in het groen.
2
Je ziet op de kilometerteller dat je meer dan 20 km/u fietst. 1
Verwerking in de hersenen 4
Je fietst de heuvel af.
20 KM/U
Je snelheid daalt. 3
Je knijpt je remmen voorzichtig dicht.
Je fietst de heuvel op. 5
Je snelheid stijgt.
2
Je ziet op de kilometerteller dat je minder dan 20 km/u fietst.
3
Verwerking in de hersenen 4
Je duwt harder op je trappers.
Het is vandaag een spannende dag in de les LO. De looptest wordt afgenomen. Je hebt hard getraind de voorbije periode. Samen met je klasgenoten sta je aan de startlijn. Bespreek het regelsysteem in je lichaam dat ervoor zal zorgen dat jij jouw beste prestatie kunt neerzetten.
Noteer het juiste antwoord.
a Waarom zijn regelsystemen in ons lichaam nodig?
b Welke twee stelsels beantwoorden aan de taak van een regelsysteem?
Juist of fout? Verklaar.
Homeostase is het vermogen van de mens om bijvoorbeeld de lichaamstemperatuur in het inwendig milieu constant te houden.
JUIST / FOUT
Lees de tekst.
Op zondagmiddag zijn er taartjes. Mmm, met veel smaak eet je een stukje. Dat stukje (suikerrijke) taart komt in jouw spijsverteringsstelsel terecht en wordt er verteerd. Vanuit je dunne darm wordt glucose opgenomen in jouw bloedbaan. Er zit nu te veel glucose in jouw bloed. Je alvleesklier komt daardoor in werking. Hij maakt insuline aan. De insuline zal ervoor zorgen dat cellen in je lichaam glucose uit jouw bloed halen en tijdelijk stockeren in de spieren en lever. Oef, jouw glucosegehalte in je bloed heeft opnieuw een normale waarde.
Leg aan de hand van dit voorbeeld uit wat homeostase is.
Plaats de onderstaande begrippen in de juiste kolom. vloeistofdruk in de cel hoog – vloeistofdruk in de cel laag – sluitcellen opgezwollen en van elkaar –sluitcellen slap en tegen elkaar – huidmondje open – huidmondje dicht –veel verdamping van water – weinig verdamping van water
vochtige omgeving droge omgeving
Juist of fout? Beoordeel de uitspraak en verklaar.
Homeostase bij planten is het openen en sluiten van de huidmondjes.
prikkel
receptoren
KERNBEGRIPPEN
conductoren
effectoren
reactie
regelsysteem
Een prikkel is een waarneembare verandering in een organisme of in de omgeving van het organisme die een reactie kan uitlokken.
Receptoren zijn structuren die de prikkel herkennen en opvangen
Voorbeeld dieren: koude- en warmtereceptoren in de huid om de lichaamstemperatuur waar te nemen
Voorbeeld planten: Receptoren in de plant vangen informatie op over het watergehalte.
Conductoren of geleiders brengen de informatie over
Voorbeeld dieren: Het zenuwstelsel en het hormonaal stelsel zijn de conductoren. Zij zorgen voor de informatieoverdracht tussen receptor en effector.
Voorbeeld planten: Hormonen geleiden informatie over het watergehalte naar de huidmondjes.
Effectoren voeren de reactie uit zodat organismen gepast op prikkels kunnen reageren.
Voorbeeld dieren: De delen van dieren die de reactie uitvoeren zijn spieren en klieren.
Voorbeeld planten: Bepaalde structuren van de planten zoals de huidmondjes voeren een reactie uit.
Een reactie is het antwoord op de prikkel
Voorbeeld dieren: Spieren kunnen bewegen als reactie op een prikkel of klieren kunnen een klierproduct zoals zweet afgeven.
Voorbeeld planten: De huidmondjes openen of sluiten als reactie op vochtige of droge omstandigheden.
Een regelsysteem is een geheel van geordende processen dat ervoor zorgt dat een organisme gepast reageert op waarneembare veranderende omstandigheden.
homeostase
Eigen notities
Het inwendig milieu wordt in evenwicht gehouden zodat een stabiele situatie ontstaat
Homeostase is het handhaven van het stabiel inwendig milieu
1 Begripskennis
• Ik kan omschrijven wat een prikkel is.
• Ik kan omschrijven wat een receptor is.
• Ik kan de functie van een receptor beschrijven
• Ik kan omschrijven wat een conductor is.
• Ik kan de functie van een conductor beschrijven
• Ik kan omschrijven wat een effector is.
• Ik kan de functie van een effector beschrijven.
• Ik kan aantonen dat planten en dieren als systeem functioneren.
• Ik kan omschrijven wat een regelsysteem is.
• Ik kan illustreren wat homeostase is.
• Ik kan aantonen dat organismen over regelsystemen beschikken om het inwendig evenwicht te behouden.
2 Onderzoeksvaardigheden
• Ik kan een hypothese formuleren.
• Ik kan een waarneming formuleren.
• Ik kan een waarneming interpreteren en verklaren
• Ik kan een besluit formuleren.
` Je kunt deze checklist ook op invullen bij je portfolio.
Eigen notities
1 Tijdens de CHECK IN heb je ontdekt hoe je lichaam reageert op een tekort aan water. Je krijgt dorst en wilt drinken. Het lichaam reageert op verstoring van een evenwicht door bij te sturen.
a Vul op basis van de bovenstaande gegevens het schema aan.
b Wat is het nut van de bijsturing?
Het watergehalte in je lichaam

Je krijgt
Je gaat water
Het watergehalte in je lichaam . waterverlies door
2 Welke prikkels kan je lichaam nog waarnemen? Geef enkele voorbeelden.
3 Hoe neemt je lichaam die prikkels waar?
4 Gebeurt de regeling altijd op dezelfde manier? Leg uit.
5 Wat is het nut van die regelsystemen?
Het tekort aan water in je lichaam wordt als prikkel waargenomen door de receptoren. De receptoren zetten de prikkel om in een signaal. Dat signaal wordt door het zenuwstelsel doorgegeven en verwerkt en zet een regelsysteem in gang waardoor je dorst krijgt. Door te drinken wordt de watervoorraad in je lichaam weer op peil gebracht.

Ontdek hoe je lichaam reageert als het in aanraking komt met prikkelende stoffen.
WAT HEB JE NODIG?
ui
snijmesje
snijplank
HOE GA JE TE WERK?
1 Je legt de ui op een plankje.
2 Je snijdt de ui in kleine stukjes.
WAT GEBEURT ER?
HOE ZIT DAT?
a Wat is de prikkel?
b Waar bevindt zich de receptor?
c Wat is de effector?
d Hoe reageert je lichaam?
e Welk nut heeft die reactie?

WEETJE
Wil je meer weten waarom je lichaam zo reageert?
Scan de QR-code en lees het hier!
WEETJE UIEN
` Welke prikkels kan je lichaam waarnemen?
` Hoe neemt je lichaam prikkels waar?
` Waar in je lichaam bevinden zich receptoren om prikkels waar te nemen?
` Over welke soorten receptoren beschikken dieren?
We zoeken het uit!
OPDRACHT 1
Bekijk de onderstaande reacties van organismen.
1 Noteer op het eerste lijntje door welke prikkel de reactie van het organisme wordt uitgelokt.
2 Wat is het nut van de reactie voor het organisme? Noteer op het tweede lijntje.






OPDRACHT 2
In module 3 maakte je kennis met de thermoreceptoren in de huid. Die receptoren nemen temperatuurverschillen waar. Er zijn nog veel andere prikkels, maar kan de mens ook elk van die prikkels waarnemen?
1 Noteer bij elke foto de gepaste prikkel. Kies uit: beweging/positie – druk – elektrisch veld – geluid – geurstoffen – licht – magnetisch veld – pijn – smaakstoffen – temperatuurverschil – zwaartekracht
2 Is het een prikkel die mensen kunnen waarnemen? Kruis aan.






LEERDOELEN
Je kunt al:
M een dynamisch evenwicht binnen een systeem omschrijven.
Je leert nu:
M een prikkel omschrijven;

M de kenmerken van een prikkel herkennen;
M verschillende soorten prikkels herkennen.
OPDRACHT 3 ONDERZOEK
1 Onderzoeksvraag
Je wordt voortdurend blootgesteld aan allerlei activiteiten rondom je. Het begint ’s morgens al. Je wordt wakker door je wekker. Er is lawaai aan de ontbijttafel. Onderweg naar school is het druk: fietsers, voetgangers, auto’s en bussen. Je baant je er een weg door om op tijd op school te zijn. Je lichaam neemt al die activiteiten waar.
Organismen kunnen reageren op veranderingen in de omgeving zoals droogte, chemische stoffen, gewijzigde temperatuur … Ook veranderingen binnenin een organisme zoals een volle blaas lokken soms reacties uit. Dergelijke veranderingen noem je prikkels
Je wordt voortdurend blootgesteld aan een waaier van veranderingen in je lichaam en in je omgeving. Je onderzoekt nu onder welke voorwaarden veranderingen in de omgeving waarneembaar zijn en dus prikkels zijn voor organismen.
Wanneer is een verandering in de omgeving van een organisme een prikkel?
2 Hypothese
Brainstorm met je klas over een goede hypothese.
Als een verandering dan
Kijk even naar de voorbeelden in opdracht 1.
OPDRACHT 3 (VERVOLG)
3 Benodigdheden
per duo een blinddoek
zaklamp (of licht op je smartphone)
een blad papier
4 Werkwijze
1 Werk per twee.
2 Eén leerling wordt geblinddoekt. Dat is de proefpersoon.

3 De proefpersoon wordt nu onderworpen aan een aantal veranderingen in de omgeving. De proefpersoon steekt zijn hand op als hij of zij de verandering waarneemt.
4 Schijn plots met de zaklamp in de richting van de proefpersoon.
5 Neem een blad papier.
6 Scheur een stukje van dat blad en laat het in de handpalm van de proefpersoon vallen.
7 Herhaal de vorige stap, maar maak de stukjes steeds kleiner en kleiner.
8 De proefpersoon mag de blinddoek afnemen.
9 Schijn opnieuw met de zaklamp in de richting van de proefpersoon. Let op! Schijn niet met de zaklamp in de ogen.
5 Waarneming
a Wat stel je vast wanneer je met de zaklamp naar de geblinddoekte persoon schijnt?
b Wat stel je vast wanneer je met de zaklamp schijnt wanneer de blinddoek weg is?
c Wat stel je vast wanneer de stukjes papier steeds kleiner worden?
6 Verwerking
a Is het schijnen met een zaklamp altijd een prikkel? Verklaar.
b Is het vallen van een stukje papier op de hand altijd een prikkel? Verklaar.
7 Besluit
Noteer een besluit.
8 Reflectie
OPDRACHT 4
Blijft een prikkel altijd een prikkel?
Je komt een parfumeriewinkel binnen om een nieuw parfum te kopen en je ruikt een heleboel verschillende geuren. Na een tiental minuten is het jouw beurt. De verkoopster laat je andere geuren ruiken. De lekkerste koop je! Hoe kan het dat je tussen al die verschillende geuren nog in staat bent een nieuw parfum te kiezen?

OPDRACHT 5 DOORDENKER
Kun je ook té veel prikkels krijgen?
Bekijk de video en beschrijf een hoogsensitief persoon.
sterkte van de uitwendige of inwendige verandering

Een prikkel is een waarneembare verandering die bij een organisme een reactie kan uitlokken. Die verandering moet voldoende sterk zijn om te kunnen waarnemen. De minimumsterkte waarbij een prikkel waarneembaar is, noemen we de drempelwaarde voor een prikkel of de prikkeldrempel. Je stelde in opdracht 3 vast dat je de kleinste stukjes papier niet meer kon voelen. Daar was de verandering in omgeving niet sterk genoeg om de prikkeldrempel te overschrijden. Daarom konden we daar niet van een prikkel spreken.
geen prikkel
drempelwaarde
S Grafiek 2 Een verandering (inwendig of uitwendig) die onder de prikkeldrempel ligt, nemen we niet waar.
tijd (s)
sterkte van de uitwendige of inwendige verandering
prikkel
drempelwaarde
tijd (s)
S Grafiek 3 Een verandering (inwendig of uitwendig) die boven de prikkeldrempel ligt, kunnen we waarnemen. We spreken van een prikkel.
Eenzelfde geur neem je na een tijdje niet meer waar. Een ring die je altijd draagt, voel je na een tijdje niet meer. Als dezelfde prikkel lang blijft duren, dan nemen we na een tijdje de verandering in de omgeving niet meer waar. Er ontstaat gewenning.
In de hersenen zit een soort prikkelfilterstation dat bepaalt of en hoe sterk prikkels naar de hersenen worden doorgegeven. Zo worden bijvoorbeeld achtergrondgeluiden tijdens de les weggefilterd. Wanneer je aan het gamen bent, hoor je misschien je papa niet roepen dat het eten klaar is. Wanneer de prikkelfilter echter niet goed werkt, kun je overprikkeld raken. Overprikkeld raak je, wanneer de prikkelfilter te veel en te sterke prikkels doorlaat.

Reacties worden uitgelokt door prikkels. Een prikkel is een waarneembare verandering in een organisme, of in de omgeving van een organisme, die een reactie kan uitlokken.
De prikkeldrempel is de minimumsterkte waarbij een prikkel waarneembaar is.
Wanneer dezelfde prikkel langere tijd blijft duren, dan kan het gebeuren dat die prikkel niet meer opgemerkt wordt: dat is prikkelgewenning.
De prikkelfilter is een filterstation in de hersenen dat bepaalt of en hoe sterk prikkels aan de hersenen worden doorgegeven.
` Maak oefening 1 t/m 5 op p. 113-114.
OPDRACHT 6
Ontdek welke soorten prikkels er zijn.
Waarin verschillen de prikkels in de twee kolommen van elkaar? Vul boven elke kolom de juiste titel in.
hongergevoel de geur van koffie
watertekort in een plant een stukje papier valt op je hand
drang om naar het toilet te gaan zonlicht waar zonnebloemen zich naar richten
zoogdruk in de uier van een koe
hitte die je doet zweten


De meeste prikkels waarover je al leerde, zijn afkomstig van buiten het organisme, zoals droogte, koude of warmte, geuren. Omdat de prikkels vanuit de omgeving komen, noemen we ze uitwendige prikkels
Er bestaan ook prikkels die in het lichaam zelf ontstaan, zoals het gevoel van honger, naar het toilet moeten, dorst hebben ... We noemen ze daarom inwendige prikkels.
In sommige gevallen reageert het organisme op een combinatie van een inwendige en een uitwendige prikkel. Denk maar aan het hongergevoel dat optreedt wanneer je frietjes ziet én ruikt.
• Uitwendige prikkels zijn prikkels die afkomstig zijn uit de omgeving van het organisme.
• Inwendige prikkels zijn prikkels die in het organisme ontstaan.
` Maak oefening 6 t/m 8 op p. 114-115.
3 Met behulp van welke structuren kunnen we prikkels waarnemen?
OPDRACHT 7
1 Noteer in de tabel.
Of iets warm is, kunnen we niet zien, maar wel voelen. Blijkbaar beschikken we over ‘ontvangers’ of receptoren die enkel specifieke veranderingen in onze omgeving of in ons lichaam opmerken. Die receptoren kunnen de opgemerkte informatie omzetten naar een signaal, dat via een nabijgelegen zenuw door het zenuwstelsel naar de hersenen wordt geleid. Daardoor kunnen de effectoren op een gepaste manier reageren.
Welke receptoren kennen we en waar in het lichaam situeren die zich?
Waar liggen de receptoren die de gegeven prikkels opvangen?
Prikkel
Ligging receptor licht
geluid en beweging / positie geurstoffen
smaakstoffen
druk, temperatuurverschil, pijn
2 Hoe heten de organen waarin deze receptoren liggen?
3 Zijn de gegeven prikkels inwendige of uitwendige prikkels?
De concentratie van een oplossing wijst op de hoeveelheid van een stof opgelost in een bepaald volume oplosmiddel.
Als je bijvoorbeeld in een kop koffie een klontje suiker doet en in een andere kop twee klontjes suiker, dan zal de tweede kop koffie zoeter zijn. De concentratie suiker in de tweede kop is groter dan in de eerste kop koffie.
De receptoren die uitwendige prikkels opvangen, liggen meestal gegroepeerd in speciale organen: de zintuigen. De receptoren in die zintuigen zijn receptorcellen die gevoelig zijn voor een specifieke prikkel.

Niet alle receptoren liggen geconcentreerd in een orgaan, sommige liggen verspreid in het lichaam. De receptorcellen die temperatuurverschillen waarnemen, liggen bijvoorbeeld verspreid over de hele huid.
De receptoren voor inwendige prikkels zijn meestal in organen gelegen. In de alvleesklier bevinden zich bijvoorbeeld specifieke receptoren die gevoelig zijn voor het suikergehalte in het bloed. Andere organen, zoals de voortplantingsorganen of de schildklier, bevatten receptoren die gevoelig zijn voor hormonen
• Dieren vangen uitwendige prikkels op via receptorcellen. Die cellen liggen verspreid of gegroepeerd in zintuigorganen.
• Een zintuig is een orgaan waarin receptorcellen voor een bepaalde prikkel gegroepeerd liggen.
` Maak oefening 9 en 10 op p. 115.
KERNBEGRIPPEN
uitwendig – inwendig prikkel
in zintuig uitwendig verspreid receptor inwendig
geleider
effector
reactie
NOTITIES
1 Wat zijn de kenmerken van een prikkel?
Een prikkel is een die sterk genoeg is om een van het organisme uit te lokken.
De is de minimumwaarde waarbij een prikkel waargenomen kan worden.
Bij langdurige blootstelling aan een prikkel kan optreden.
De in de hersenen bepaalt of prikkels doorgegeven worden en aanleiding geven tot een reactie.
2 Welke soorten prikkels kunnen organismen waarnemen?
• Uitwendige prikkels zijn prikkels die .
• Inwendige prikkels zijn prikkels die
3 Met behulp van welke structuren kunnen we prikkels waarnemen?
Dieren hebben voor uitwendige en inwendige prikkels.
Een receptor is voor de aard van de prikkel.
Bij dieren liggen de voor uitwendige prikkels geconcentreerd of verspreid in .
De voor inwendige prikkels liggen vaak in
JANOG OEFENEN
1 Begripskennis
• Ik kan een prikkel omschrijven
• Ik kan verschillende soorten prikkels benoemen.
• Ik kan verschillende soorten prikkels omschrijven
• Ik kan het verschil tussen inwendige en uitwendige prikkels uitleggen
• Ik kan omschrijven wat een receptor is.
2 Onderzoeksvaardigheden
• Ik kan een onderzoeksvraag formuleren aan de hand van een aantal criteria.
• Ik kan een hypothese formuleren in functie van de onderzoeksvraag.
• Ik kan reflecteren over een onderzoek.
` Je kunt deze checklist ook op invullen bij je portfolio.
Eigen notities
Welke omschrijving beschrijft het best wat een prikkel is? Kruis het juiste antwoord aan.
een elektrisch signaal dat het organisme bereikt een verandering waarop een organisme reageert een verandering in het gedrag van het organisme een uitlokker van beweging bij een organisme
Noteer bij de onderstaande voorbeelden om welk soort prikkel het gaat. Bij sommige prikkels zijn er meerdere antwoorden mogelijk.
Voorbeeld Prikkel
stoffen die vrijkomen bij een verwonding inwendig uitwendig
sappen van een brandnetel inwendig uitwendig
druk inwendig uitwendig
warmte inwendig uitwendig
licht inwendig uitwendig
geluid inwendig uitwendig
smaakstof inwendig uitwendig
lage bloeddruk inwendig uitwendig
Beantwoord de vragen a Wat zijn zintuigen?
b Kruis de plaatsen aan waar receptorcellen zich kunnen bevinden. tong kroonblad van een bloem tand
cellen die gevoelig zijn voor stoffen in het bloed in het oor
Als ik hete soep drink, doet mijn slokdarm pijn. Wordt er een uitwendige of inwendige prikkel waargenomen? Leg uit.
Welke prikkels zijn inwendige prikkels? Kruis de juiste antwoorden aan. testosteron licht adrenaline bloeddruk traanvocht bloedsuikerspiegel
Juist of fout? Verbeter als dat nodig is.
a Een zintuig met een lage prikkeldrempel voor een bepaalde prikkel is weinig gevoelig voor die prikkel.
JUIST / FOUT
b De prikkeldrempel is de laagste intensiteit (sterkte van de prikkel) van een prikkel die nog net waarneembaar is.
JUIST / FOUT
c Een hond heeft een hogere prikkeldrempel voor geuren dan een mens.
JUIST / FOUT
Tijdens de les chemie wordt een proefje uitgevoerd waarbij waterstofsulfide aangemaakt wordt; dat is een stinkend gas dat naar rotte eieren ruikt. De leraar voert het proefje uit onder de zuurkast. Niemand merkt wat op van de rottende geur.
Noteer de begrippen prikkel en drempelwaarde op de juiste plaats op de grafiek.
tijd (s) uitwendige verandering
Lees de tekst.
Maandagochtend, 8 uur
Senna, Julan en Elif komen op school aan. Julan haalt een melkdrankje en een yoghurt uit de automaat. Hij was te laat uit bed en met honger kan hij de klas toch niet in! Senna en Elif showen een nieuwe video voor hun socialmediakanaal. Julan en de andere jongens vinden het maar saai en halen de schouders op wanneer de meisjes vragen wat ze ervan vinden. Dan gaat de eerste bel. Julan gooit de lege verpakkingen in de vuilnisbak en haast zich naar de klas. De geur van de overvolle vuilnisbak blijft in zijn neus hangen. Zelfs de sterke parfums van de voorbijlopende leerkrachten kunnen die vieze geur niet verdringen. Senna en Elif zijn nog altijd met hun video bezig. Ze horen zelfs de tweede bel niet! Deze schoolweek begint voor hen met een opmerking in hun agenda.
a Noteer vijf veranderingen uit de omgeving van Julan waarop hij reageert.
b Julan reageert op prikkels. Reageren Senna en Elif op alle veranderingen in hun omgeving?
c Waarom horen Senna en Elif de tweede bel niet?
d Kruis het juiste antwoord aan.
Senna en Elif reageren op dezelfde prikkels als Julan.
Senna en Elif reageren niet op dezelfde prikkels als Julan.
Je bent een spannend boek aan het lezen op je kamer. Je moeder roept dat het tijd is om naar de zwemclub te vertrekken. Plots komt ze boos binnen in je kamer. Je schrikt, je had haar helemaal niet horen roepen.
Verklaar.
We nemen onze omgeving niet waar zoals ze is. Verklaar deze stelling.
Je weet al:
M dat organismen beschikken over receptoren om prikkels waar te nemen;
M dat licht een prikkel is.
Je leert nu:


M de structuren rond en in het oog aanduiden en benoemen;
M de functies van de structuren rond en in het oog beschrijven;
M in eigen woorden uitleggen hoe lichtstralen zich door het oog verplaatsen en een scherp beeld vormen;
M de delen van het netvlies benoemen en de rol van de fotoreceptoren beschrijven;
M uitleggen hoe de hersenen een rol spelen in de vorming van het beeld;
M hoe de werking van het oog verstoord kan worden;
Je leerde dat receptoren prikkels opvangen. We bekijken nu hoe onze ogen lichtprikkels opvangen en hoe wij die lichtprikkels omzetten in een beeld. Je ziet hier twee keer dezelfde boterbloem. De linkse afbeelding toont hoe mensen de bloem zien, de rechtse bloem is door insectenogen waargenomen. De natuur ziet er dus niet voor alle dieren hetzelfde uit. Hoe kunnen we dat verklaren? Hoe bepalen de bouw en de werking van het oog wat we waarnemen en hoe we dat zien?
1.1 Welke structuren liggen rond het oog?
OPDRACHT 8
Welke functie hebben de volgende structuren rond en in het oog?
delen functie
1 wenkbrauwenA Voorkomen dat deeltjes zoals stof of insecten tegen het oogoppervlak belanden. Je kunt ze ook als een filtertje gebruiken om te sterk licht af te weren.
2 ooglid B Verhinderen dat water en zweet van het voorhoofd rechtstreeks in de ogen lopen
3 wimpers C Verbonden met het oog om het in de oogkas naar alle kanten te kunnen bewegen
4 traanklier met traanvocht D Geven een vetrijke stof af als bescherming van de huid. Dat voorkomt dat de oogleden aan elkaar kleven.
5 oogkas E Een zoute vloeistof wordt geproduceerd die het oog vochtig houdt en de wrijving van de oogleden vermindert. Het vocht bevat bovendien een stof die bacteriën doodt. Op die manier is het oog bijkomend beschermd tegen infecties.
6 vetweefsel F Voor het openen van het bovenste ooglid
7 bindvlies G Door te knipperen, blijven de ogen vochtig en worden ze beschermd tegen licht, stof en verontreiniging.
8 talgklier H Ligt rond de oogbol en houdt het oog op zijn plaats. Beschermt tegen schokken en stoten.
9 oogspierenI Beschermt tegen schokken en stoten.
10 ooglidopheffer J Vormt een stevige schil rond het oog en produceert slijmerig vocht om het oog te beschermen tegen uitdroging en invloeden van buitenaf.

1 wenkbrauw
2 ooglid
3 wimpers
2 ooglid
wimpers 2 ooglid 3 wimpers
OPDRACHT 8 (VERVOLG)
WEETJE
4 traanklier
hoornvlies 7 bindvlies
oogspieren
3 wimpers
2 ooglid
5 oogkas
S Afb. 40 Structuren rond het oog
10 ooglidopheffer
6 vetweefsel
oogspieren
9 bovenste schuine oogspier
9 bovenste rechte oogspier
9 onderste schuine oogspier
5 oogkas
9 onderste rechte oogspier
9 buitenste rechte oogspier
9 binnenste rechte oogspier
S Afb 41 Oogspieren
Als het bindvlies ontstoken is, kleurt het oogwit rood.

Soms verstopt een talgklier en kan de talg er niet meer uit. Er ontstaat dan een bultje.

OPDRACHT 9 DEMO
1.2 Welke structuren liggen in het oog?
Je hebt nu bestudeerd hoe het oog zich binnen in de oogkas situeert en welke structuren er aan de buitenkant zichtbaar zijn. Om te begrijpen hoe het oog licht opvangt, kun je het ontleden om het aan de binnenkant te bekijken. Daarvoor kan een dissectie van het oog uitgevoerd worden: het oog wordt uit elkaar gehaald of ontleed.
Bekijk de dissectie van het oog.
Je leerkracht kan de dissectie van het oog uitvoeren of je kunt ook de video bekijken.
Een oog is bijna bolvormig. Het oogwit of het harde oogvlies (1) vormt de buitenste, stevige begrenzing van het oog. Dat loopt helemaal rond het oog.
Aan de voorzijde van het oog gaat het harde oogvlies over in het hoornvlies (2). Het hoornvlies is bedekt met het bindvlies. Dat is helder en doorschijnend. Het is erg dik en taai omdat het uit meerdere lagen bestaat. Daardoor is het hoornvlies extra stevig en wordt het binnenste van het oog goed beschermd.

1 hard oogvlies
2 hoornvlies
W Afb 44 Zijaanzicht van het oog.
In de ruimte achter het hoornvlies, de oogkamer (3), bevindt zich een waterige vloeistof. Die vloeistof levert voedingsstoffen aan het hoornvlies.
De iris of het regenboogvlies (4) is het gekleurde deel van het oog en ligt achter het hoornvlies. Afhankelijk van de hoeveelheid pigment is de iris donkerder of lichter gekleurd. Bij weinig pigment is de iris blauw of grijs.
In het midden van de iris bevindt zich een opening waarlangs het licht het oog binnendringt. Dat is de pupil (5), je ziet die als een zwarte ronde vlek. De iris verdeelt de oogkamer in twee delen: de voorste oogkamer en de achterste oogkamer. Aan de zijkanten loopt de iris door in het vaatvlies (6), dat tegen de binnenkant van het harde oogvlies ligt. Het is sterk doorbloed en zorgt voor aan- en afvoer van allerlei stoffen.
Achter de iris zit een bolle ooglens (7). De lens speelt een rol in de vorming van een scherp beeld in het oog.
12 glasachtig lichaam
9 straallichaam
4 iris
3 oogkamer
5 pupil 7 ooglens
2 hoornvlies
8 lensbandjes 11 oogholte
10 accommodatiespier
13 netvlies
6 vaatvlies 1 hard oogvlies
14 gele vlek
16 blinde vlek
15 oogzenuw
17 bloedvaten
S Afb 45 Dwarsdoorsnede van het oog
De lens is met lensbandjes (8) opgehangen aan het straallichaam (9). In het straallichaam zit de accommodatiespier (10), die een rol speelt in de scherpstelling van het oog.
Het deel achter de lens is de oogholte (11). Daarin zit een heldere, gelatineuze vloeistof. Dat is het glasvocht of glasachtig lichaam (12). Het reguleert de druk in de oogbol zodat het netvlies strak blijft en het oog zijn vorm behoudt. Daardoor kan het gemakkelijk in de oogkas bewegen.
Op het vaatvlies, tegen het glasachtig lichaam, ligt het netvlies of de retina (13). Licht dat door de lens valt, komt op het netvlies terecht. Het centrale gedeelte noemen we de gele vlek (14). Hier wordt het beeld gevormd. De lichtgevoelige cellen van het netvlies reageren op het invallend licht. Het zijn de fotoreceptoren: zij vangen de lichtprikkels op en geven een signaal door naar naburige zenuwcellen.
Uitlopers van die zenuwcellen vormen samen de oogzenuw (15). Langs die zenuw worden de opgewekte signalen naar de hersenen vervoerd.
Op de plaats waar de oogzenuw naar buiten treedt, kunnen geen lichtreceptoren zitten. Het oog vangt daar dus geen licht op. Dat is de blinde vlek (16). Het netvlies bevat naast receptoren ook bloedvaten (17) die de verschillende cellen van voedingsstoffen voorzien. De bloedvaten komen het netvlies binnen ter hoogte van de blinde vlek.
OPDRACHT 10 ONDERZOEK
Hoe kun je de aanwezigheid van de blinde vlek gewaarworden?
1 Werkwijze
• Houd je leerschrift verticaal met de armen gestrekt zo ver mogelijk voor je uit.
• Knijp je rechteroog dicht.
• Fixeer het kruisje met je linkeroog.
• Je ziet het bolletje ook, maar minder scherp.
• Breng je blad langzaam dichter bij je linkeroog terwijl je het kruisje blijft fixeren.
2 Wat stel je vast?
3 Verklaar je waarneming.
In de iris kunnen korrels van het donkerbruin pigment melanine voorkomen. Die pigmenten absorberen het licht dat op de iris valt. Hoe meer pigmenten, hoe meer licht er geabsorbeerd wordt en hoe donkerder de kleur van de iris. De iris van mensen met zeer veel pigmenten krijgt een bruine tot bijna zwarte kleur.

In groene irissen zitten minder pigmenten. Slechts een deel van het licht dat op de iris valt, wordt door de pigmenten geabsorbeerd, vooral het blauwe licht wordt teruggekaatst. Door de combinatie van bruin (door de pigmenten) en blauw (door de terugkaatsing van licht) zien wij de iris groen. Mensen met blauwe ogen hebben geen pigmentkorrels. Al het licht dat in het oog invalt wordt verspreid, waardoor een blauwe kleur ontstaat.
OPDRACHT 11
Lees de onderstaande beschrijvingen van de structuren van het oog.
1 Vul de benaming in bij de juiste beschrijving.
Beschrijving
1 Zorgt voor de juiste druk in het oog.
2 Voorziet het hoornvlies van voedingsstoffen.
3 Opening waarlangs het licht in het oog binnendringt.
4 Produceert vocht dat het oog beschermt tegen infecties.
5 Bevat veel bloedvaten en zorgt voor aanen afvoer van stoffen.
6 Vervoert informatie vanuit het oog naar de hersenen.
7 Zorgt voor de vorming van een scherp beeld.
8 Bevat lichtgevoelige receptoren.
9 Hard omhulsel dat het oog goed beschermt.
Structuur van het oog
OPDRACHT 11 (VERVOLG)
2 Noteer de nummers uit de tabel bij de overeenkomstige structuur op de afbeelding.
Afb. 46 Doorsnede oog
Je oog is omgeven door verschillende delen die het oog op zijn plaats houden en voor bescherming zorgen.
Bij het ontleden van het oog kun je meerdere structuren onderscheiden:
Structuur
Functie
Het hard oogvlies is het deel van het oogvlies dat het oog aan de buitenkant omringt.
Het hoornvlies is het doorzichtige deel van het oogvlies dat het oog vooraan bedekt.
De iris is het gekleurde deel dat achter het hoornvlies is gesitueerd. De iris loopt door in het vaatvlies.
Het vaatvlies is een laag onder het hard oogvlies die sterk doorbloed is.
De pupil is een opening in de iris waar het licht door naar binnen valt.
De lens zorgt voor beeldvorming en is in de achterste oogkamer achter de iris gelegen.
Het netvlies is het deel dat de fotoreceptoren bevat. Het netvlies ligt aan de binnenkant van het vaatvlies.
Het glasachtig lichaam is het deel in de oogholte dat de druk regelt in de ogen en meer naar achter ligt.
De blinde vlek is de plaats waar de oogzenuw door het netvlies naar buiten loopt. Deze plaats bevat geen fotoreceptoren.
` Maak oefening 1 t/m 3 op p. 148-149.
2.1 Hoe regelt het oog de hoeveelheid doorgelaten licht?
OPDRACHT 12 ONDERZOEK
Je kent het wel: niets is vervelender dan ’s morgens door fel licht wakker worden. Maar hoe reageren je ogen daarop?
1 Onderzoeksvraag
Hoe regelt het oog de hoeveelheid doorgelaten licht?
2 Hypothese
• Als er te veel licht is,
• Als er weinig licht is,
3 Benodigdheden
4 Werkwijze
1 Werk per twee.
2 Sta bij het raam of een andere lichtbron.
3 Bekijk de grootte van elkaars pupil.
4 Bedek met je handen je ogen gedurende een minuut.
5 Haal je handen weg en bekijk onmiddellijk elkaars pupillen.
5 Waarneming
a Hoe noemen we het gekleurde deel van het oog?
b Hoe ziet de pupil eruit wanneer je bij het raam staat?
c Hoe ziet de pupil eruit wanneer je je ogen afgedekt hebt?

6 Verwerking
a Schrap wat niet past.
• Bij fel licht verkleint / vergroot de pupil.
• Bij minder licht verkleint / vergroot de pupil.
b Waarom verkleint de pupil bij fel licht?
c Heb jij het verkleinen en vergroten van de pupil zelf onder controle?
7 Besluit
De pupil
8 Reflectie
a Vergelijk je hypothese met je besluit.
b Kon je het vergroten en verkleinen van de pupil goed waarnemen? ja neen
c Als dat niet lukte, hoe kun je dat vergroten en verkleinen beter waarnemen?
WEETJE
In donkere ruimtes kun je met een fototoestel gebruikmaken van een flits om het onderwerp extra te belichten. Door de flits kunnen rode ogen op de foto verschijnen. Dat komt omdat de irissen door de plotse lichthoeveelheid te traag samentrekken. Zo wordt het sterk doorbloede vaatvlies achter in het oog zichtbaar.

straalspieren
De diameter van de pupil wordt geregeld door spieren in de iris. Die spieren liggen rond de pupil in twee groepen:
• Kringspieren liggen concentrisch (of in kringen) rond de pupil. Kringspieren trekken samen om de binnenkant van je oog te beschermen tegen te veel licht. Door samen te trekken zorgen ze ervoor dat de diameter van de pupil kleiner wordt.
• Straalspieren liggen straalsgewijs of radiaal. Straalspieren trekken samen om bij lagere lichtintensiteiten toch voldoende licht in je oog te laten vallen, zodat je voorwerpen goed kunt waarnemen. Door het samentrekken van de straalspieren wordt de diameter van de pupil groter.
De aanpassing van de pupildiameter gebeurt spontaan, als een reactie op de lichtintensiteit. Je hebt die reactie niet onder controle.
invallend licht
pupil iris
kringspieren
S Afb 47
Als de hoeveelheid binnenvallend licht afneemt, worden de straalspieren korter en trekken ze de pupilopening open.
Als de hoeveelheid binnenvallend licht afneemt, worden de straalspieren korter en trekken ze de pupilopening open.

S Afb 48
Als de hoeveelheid invallend licht toeneemt, trekken de kringspieren samen en wordt de pupilopening kleiner.
Als de hoeveelheid invallend licht toeneemt, trekken de kringspieren samen en wordt de pupilopening kleiner.

Uit onderzoek blijkt dat mensen met grote pupillen aantrekkelijker worden gevonden. Daar werd al in de oudheid op ingespeeld: atropine, een zeer giftige stof uit het sap van de plant belladonna (wat ‘mooie vrouw’ betekent), werd door jonge meisjes in de ogen gedruppeld om de pupillen te vergroten en er aantrekkelijker uit te zien. Nog steeds gebruiken oogartsen atropine om het netvlies in je oog grondig te bestuderen.

Het is belangrijk dat het netvlies wordt beschermd tegen een te hoge lichtintensiteit. Tegelijkertijd moet er voldoende licht zijn om een duidelijk beeld van voorwerpen te verkrijgen.
De iris regelt de hoeveelheid licht die er in het oog wordt toegelaten. Dat gebeurt door het ontspannen of samentrekken van de irisspieren:
• bij weinig licht trekken de straalspieren samen en wordt de pupil groter;
• bij veel licht trekken de kringspieren samen en wordt de pupil kleiner.
` Maak oefening 4 t/m 6 op p. 149-150.
2.2 Op welke manier wordt het beeld in het oog gevormd?
OPDRACHT 13
Door welke delen van het oog passeert het binnenvallend licht?
1 Noteer door welke delen van het oog een lichtstraal gaat. Doe dat aan de hand van de figuur.
2 Welke functie heeft de lens in je oog?
3 Bij de dissectie van het oog heb je duidelijk de ooglens kunnen bestuderen. Is de ooglens een holle of een bolle lens?
OPDRACHT 14 ONDERZOEK
Welke invloed heeft een bolle lens op de richting van de lichtstralen?
1 Onderzoeksvraag
Hoe wordt het beeld door een bolle lens gevormd?
2 Hypothese
3 Benodigdheden klein stukje papier (7 x 4 cm) reageerbuis met stop 50 ml water
4 Werkwijze
1 Je ontvangt van je leerkracht reageerbuisjes gevuld met water. En de woorden ‘koolstof’ en ‘dioxide’ op een blad papier genoteerd.
2 Houd de reageerbuis horizontaal enkele centimeters boven de woorden ‘koolstof’ en ‘dioxide’.
3 Kijk door de reageerbuis naar de woorden.
5 Waarnemingen
Wat neem je waar?
6 Verwerking
De wanden van de reageerbuis zijn gebogen, ze staan bol. Daardoor verandert de richting van de invallende lichtstralen op een zodanige manier dat er een omgekeerd beeld ontstaat.
7 Besluit Formuleer een besluit.
8 Reflectie
De bolle lens in je oog kun je vergelijken met de gebogen wand van het reageerbuisje. Wanneer lichtstralen op de bolle ooglens invallen, gebeurt er hetzelfde als in het onderzoek.
De bolle ooglens, samen met de verschillende structuren in het oog, veroorzaken de breking van de invallende lichtgolven. Achter de ooglens kruisen de afgebogen lichtstralen elkaar. Daardoor wordt het beeld omgekeerd en verkleind geprojecteerd op het netvlies.
De lichtstralen die vanuit één punt van het voorwerp vertrekken, komen opnieuw samen op het netvlies. Dat punt is een beeldpunt.
lens
beeldpunten
Op het netvlies wordt een omgekeerd en verkleind beeld gevormd van het object waar je naar kijkt.
S Afb 50
Het beeld in het oog wordt gevormd door het licht dat het oog binnenvalt. Het licht passeert meerdere structuren, die elk uit andere stoffen bestaan, en een bolle lens. Samen veroorzaken ze een afbuiging van de lichtstralen. Door die afbuiging van de lichtstralen verschijnt er op het netvlies een omgekeerd en verkleind beeld
` Maak oefening 7 op p. 150.
OPDRACHT 15
Ontdek hoe je scherp ziet.
1 Voer de opdracht uit en beantwoord de vragen.
a Hou een potlood voor je en kijk ernaar. Wat zie je?
b Blijf naar je potlood kijken. Zie je de leerkracht vooraan scherp?
c Kijk nu naar de leerkracht vooraan. Wat zie je?
d Blijf naar de leerkracht kijken. Zie je het potlood?
e Welke structuur in het oog zorgt ervoor dat je beeld kunt scherpstellen?
2 Omcirkel de juiste antwoorden. Gebruik daarvoor afbeelding 51.
• Bij een dichtbijgelegen voorwerp maak je de ooglens boller / meer afgeplat.
• Bij een verafgelegen voorwerp maak je de ooglens boller / meer afgeplat.
dichtbij
veraf bolle lens afgeplatte lens

Als je kortbij naar een voorwerp kijkt, zie je alles wat veraf ligt wazig. Als je naar iets in de verte kijkt, zie je de voorwerpen dichtbij dan weer wazig.
Bij het waarnemen van een voorwerp veraf of kortbij worden lichtgolven door de lens minder of sterker afgebogen. Dat heeft gevolgen voor de scherpte van het beeld op het netvlies.
Om een voorwerp scherp waar te nemen, moeten de beeldpunten van de lichtstralen die vanuit het voorwerp vertrekken precies op het netvlies terechtkomen. Dat gebeurt door de kromming van de ooglens aan te passen met behulp van het straalvormig lichaam. Die aanpassing van de ooglens noemen we scherpstelling of accommodatie.
Het straallichaam bestaat uit een ring van spierweefsel rond de buitenrand van de iris. Daarin bevinden zich accommodatiespieren, die verbonden zijn met lensbandjes
Door de lengte van de lensbandjes aan te passen, wordt de vorm van de lens gewijzigd, waardoor het beeldpunt op de lens valt.
accommodatiespier iris (regenboogvlies)
lens
lensbandjes
hoornvlies
• Als de accommodatiespier ontspant wordt de diameter van de accommodatiespier groter. Er wordt aan de lensbandjes getrokken, die op hun beurt de lens plat trekken. Op die manier wordt op het netvlies een scherp beeld gevormd van voorwerpen die zich veraf bevinden.
• Als de accommodatiespier samentrekt, wordt er niet aan de lensbandjes getrokken. Ze hangen dan slap, waardoor de lens haar natuurlijke, bolle vorm aanneemt. Op het netvlies wordt dan een scherp beeld gevormd van voorwerpen dichtbij.
voorwerp veraf
accommodatiespier in rust
afgeplatte ooglens
opgespannen lensbandjes
accommodatiespier in rust
opgespannen lensbandjes afgeplatte ooglens
S Afb 53 Schematische voorstelling van de accommodatie
voorwerp dichtbij
accommodatiespier in actie
ontspannen lensbandjes bolle ooglens
accommodatiespier in actie
ontspannen lensbandjes bolle ooglens
De lens kan niet onbeperkt boller worden. Als we een voorwerp steeds dichter bij onze ogen brengen, bereiken we een punt waarop we het beeld niet meer scherp krijgen. Dat is het punt waarop de lens haar maximale natuurlijke kromming bereikt heeft. Dat punt noemen we het nabijheidspunt Het nabijheidspunt is het punt waarop het beeld nog net scherp is. De ligging van het nabijheidspunt is sterk afhankelijk van de kracht van de accommodatiespier en van de elasticiteit van de lens.
De accommodatiespier kan de kromming van de ooglens aanpassen.
• Als de accommodatiespier ontspannen is, zijn de lensbandjes aangespannen en is de lens plat.
• Als de accommodatiespier opgespannen is, hangen de lensbandjes slap en is de lens bol.
Op die manier zorgt de accommodatiespier ervoor dat er op het netvlies een scherp beeld terechtkomt. Daardoor kun je zowel dichtbij als veraf staande voorwerpen scherp waarnemen.
` Maak oefening 8 en 9 op p. 150.
WEETJE
Mensen die bijziend zijn, kunnen enkel beelden die dichtbij zijn scherp zien. Beelden veraf kunnen ze niet scherp waarnemen. De lens projecteert het scherp beeld namelijk niet op het netvlies. Het scherpe beeld wordt gevormd vóór het netvlies. Dat komt omdat de lens te bol is of het oog zelf niet rond, maar eerder langwerpig gevormd is. Door een bril met holle lenzen te dragen, kan dat verholpen worden. De breking van de lichtstralen wordt zo aangepast waardoor het scherpe beeld wel op het netvlies terechtkomt.
BIJZIENDHEID
BIJZIENDHEID
correctie van bijziendheid door bril met holle lenzen
S Afb 54
beeldpunten beeldpunten onscherp beeld
beeldpunten beeldpunten onscherp beeld
Voor mensen die verziend zijn, is het net omgekeerd. Zij kunnen enkel veraf gelegen beelden scherp zien. Beelden dichtbij kunnen ze niet scherp waarnemen. Hier valt het scherpe beeld achter het netvlies. De oorzaak kan zijn dat de lens onvoldoende bol is of het oog niet ‘diep’ genoeg is. Een bril met bolle lens kan hier de breking van de lichtstralen versterken en zo een scherp beeld op het netvlies vormen.
VERZIENDHEID
correctie van bijziendheid door bril met holle lenzen
VERZIENDHEID
correctie van verziendheid door bril met bolle glazen
onscherp beeld
onscherp beeld beeldpunten beeldpunten
beeldpunten beeldpunten
correctie van verziendheid door bril met bolle glazen
S Afb 55
2.4 Waar liggen de fotoreceptoren en hoe zijn ze opgebouwd?
A Algemene situering van de fotoreceptoren
Het netvlies is opgebouwd uit meerdere lagen, elk met een andere functie. Van buiten naar binnen onderscheidt men vier lagen.
lichtinval

ganglioncellen kegeltjes staafjes bipolaire cellen pigmentlaag zenuwcellen


lichtinval
1 De buitenste laag is een pigmentlaag, die donkere korrels bevat. Bij de dissectie van het oog kun je duidelijk waarnemen dat de binnenzijde van het oog zwartgekleurd is. Dat is te wijten aan de pigmentlaag. Die pigmenten absorberen al het licht dat in het oog valt, zodat het niet in de oogbal weerkaatst en verstrooid wordt.
2 Meer naar binnen toe ligt een laag die de lichtgevoelige cellen of de fotoreceptoren bevat. Die cellen vangen licht op en zetten het om naar een signaal. Er zijn staafjes en kegeltjes.
3 Op de laag met fotoreceptoren meer naar het centrum van het oog toe, ligt een laag met bipolaire cellen. Dat zijn zenuwcellen die de lichtgevoelige cellen verbinden met de zenuwcellen van de vierde laag. Ze vormen de schakels tussen fotoreceptoren en het zenuwstelsel.
4 In de vierde laag, nog meer naar het centrum van het oog, liggen zenuwcellen of ganglioncellen, met lange uitlopers die samenkomen en zich verenigen tot de oogzenuw. Die zenuw doorboort het netvlies en loopt naar buiten, achter in het oog. Aan het andere uiteinde is de oogzenuw verbonden met de hersenen.
Op afbeelding 18 kun je zien dat de laag met ganglioncellen aan de binnenkant van het netvlies ligt. De pigmentlaag ligt tegen het vaatvlies.
De verschillende lagen van het netvlies werken samen om het lichtsignaal op te vangen.
OPDRACHT 16
Bestudeer de vier lagen in het netvlies (zie afb. 17 en 18) en beantwoord de vragen.
1 Welke laag ligt het dichtst bij de lens?
2 Welke laag ligt het verst verwijderd van de lens?
3 In welke laag komt het licht eerst terecht?
4 In welke laag wordt het licht geabsorbeerd?
5 In welke laag wordt het licht opgevangen?
6 Vanuit welke laag wordt de oogzenuw gevormd?
7 Wat valt je op als je de volgorde van de ligging van de verschillende lagen van het netvlies bestudeert?
8 Welke eigenschap moet de laag met zenuwcellen in het netvlies zeker hebben? Verklaar.



teruggekaatste lichtstraal
invallende lichtstraal
ganglioncellen
bipolaire cellen
fotoreceptoren
pigmentlaag
invallende lichtstraal
ganglioncellen
bipolaire cellen
fotoreceptoren
pigmentlaag
mens
S Afb 61 Schematische doorsnede van het netvlies bij de kat en bij de mens

Wanneer een kat of een wolf in het donker naar een lichtbron kijken, lijken hun ogen op te lichten. Dat komt omdat hun ogen achterin een extra laag bevatten, het tapetum lucidum, dat het binnenvallend licht reflecteert. Op die manier passeert het licht twee keer langs de lichtgevoelige delen in het oog. Het tapetum is bij heel wat nachtactieve dieren aanwezig. Daardoor kunnen ze beter dan mensen in het donker zien.
Bij het spookdiertje stel je vast dat het heel grote ogen heeft én dat de pupil in het donker wijd openstaat. Door die grote ogen passen er veel staafjes in het netvlies om ’s nachts beter te kunnen zien. Als er veel staafjes zijn, betekent dat vaak dat er minder kegeltjes zijn en dat er dus ook minder kleuren worden waargenomen. Op die manier probeert het spookdiertje, en ook heel wat andere nachtdieren, zo veel mogelijk lichtstralen op te vangen. Je ziet dat bij daglicht de pupil heel klein wordt; nachtdieren verdragen vaak niet goed daglicht.
In het netvlies zien we dus verschillen tussen nachtdieren en dieren die overdag leven.
B Bouw en ligging fotoreceptoren.
staafjes
2 soorten fotoreceptoren
kegeltjes
bouw langwerpig spitse vorm
kegeltje staafje
kern richting van het licht

S Afb. 62
kegeltje staafje
kern richting van het licht
ligging
S Afb. 63 SEM-beeld van staafjes en kegeltjes
kegeltje staa e blinde vlek gele vlek
S Afb. 64 Netvlies van het linkeroog
In de gele vlek
In de blinde vlek
In de overige delen van het netvlies
In de gele vlek
In de blinde vlek
In de overige delen van het netvlies (voornamelijk verder van het centrum van het netvlies) (voornamelijk in het centrum van het netvlies)
Gevoelig voor licht?
Fotoreceptoren zijn gespecialiseerde cellen die instaan voor de verwerking van de lichtprikkels. De fotoreceptoren bevatten het pigment rodopsine, een molecule die lichtdeeltjes kan absorberen. Wanneer een lichtdeeltje invalt, verandert rodopsine van vorm en worden op die plaats de fotoreceptoren geactiveerd. De lichtprikkel wordt dan omgezet in een elektrisch signaal, dat door zenuwcellen naar de hersenen wordt geleid.
Het rodopsine-pigment in de staafjes kan alle golflengtes of kleuren absorberen. Met staafjes daardoor je dus enkel grijstinten, maar geen kleuren waarnemen. Staafjes zijn heel lichtgevoelig, waardoor weinig licht al voldoende is om het pigment in de staafjes van vorm te doen veranderen. Het is dankzij de staafjes dat je in slecht verlichte ruimten toch nog kunt zien.
Heel lichtgevoelig (weinig licht is al voldoende op het pigment van vorm te doen veranderen) gevolg: In slecht verlichte ruimten kan je toch zien.
Gevoelig voor kleur? neen gevolg: enkel grijstinten waarneembaar ja gevolg: ook kleuren waarneembaar
WEETJE
Minder lichtgevoelig (hebben meer licht nodig om het pigment van vorm te doen veranderen) gevolg: Minder kleuren zichtbaar in slecht verlichte ruimten
Bij de mens zijn er drie soorten kegeltjes die elk gevoelig zijn voor een van de drie hoofdkleuren (rood, groen of blauw) en dus ook voor hun specifieke golflengtes.
Afb
APPLET HOOFDKLEUREN
Afhankelijk van de verhouding waarin de drie types kegeltjes geprikkeld worden, zien we de verschillende kleuren. Als bijvoorbeeld kegeltjes voor rood en groen gelijktijdig geprikkeld worden, zie je geel of oranje.
Ben je benieuwd welke kleuren je kunt krijgen met de drie hoofdkleuren? Test maar eens uit!
Het netvlies bevat twee soorten fotoreceptoren, de staafjes en de kegeltjes
• Staafjes zijn langwerpig van vorm. De staafjes liggen vooral aan de rand van het netvlies
• De kegeltjes hebben een spitse vorm. In de gele vlek, centraal op het netvlies, komen uitsluitend kegeltjes voor. Met dat deel van het netvlies kun je het beste zien.
De blinde vlek is een plaats op het netvlies waar er geen staafjes en geen kegeltjes liggen. Het beeld dat daarop valt, zien we niet.
Staafjes vereisen weinig licht, omdat ze al bij lage lichtintensiteiten geprikkeld worden. Ze zijn dus erg gevoelig. Staafjes maken geen onderscheid tussen verschillende kleuren en worden vooral gebruikt om bij weinig licht nog te kunnen zien. Omdat de staafjes vooral aan de rand van het netvlies liggen, kun je daar enkel grijstinten waarnemen.
Kegeltjes dienen voor kleurenzicht. Verschillende kleuren kunnen we zien doordat één of meerdere soorten kegeltjes geprikkeld worden en die kleuren gecombineerd worden. Kegeltjes vereisen een hogere lichtintensiteit om geprikkeld te kunnen worden. Ze zijn dus minder gevoelig dan staafjes.
Beide soorten fotoreceptoren, de staafjes en de kegeltjes, vangen licht op. Dat kan door het fotopigment dat ze bevatten. Als dat pigment wordt belicht, verandert het van vorm. Daardoor wordt de lichtprikkel omgezet in een elektrisch signaal. Die signalen worden via de oogzenuw door het zenuwstelsel naar de hersenen geleid.
` Maak oefening 10 en 11 op p. 151.
Bij sommige mensen werken niet alle kegeltjes even goed, waardoor ze kleuren afwijkend waarnemen: ze hebben kleurenslechtziendheid. Het treedt op als een of meer van de drie types kegeltjes niet of minder goed werken.
Bij de meest voorkomende vorm wordt het verschil tussen rood en groen niet of niet goed waargenomen. Dat is een erfelijke aandoening die meer bij mannen dan bij vrouwen voorkomt. Kleurenslechtziendheid heeft invloed op het dagelijks leven van mensen, bekijk afbeelding 50 maar eens.


S Afb 66
1: normaal zicht
3: rode kegeltjes werken niet

2 3 4

2: groene kegeltjes werken niet
4: blauwe kegeltjes werken niet
Als de werking van de staafjes verstoord is, zie je slecht of helemaal niet als er weinig licht is. Dat kan ’s avonds of ’s nachts zijn maar ook bij een zwakke verlichting. De oorzaak kan een gebrek aan vitamine A zijn. Hebben ze jou ook ooit verteld dat je van worteltjes beter gaat zien? Natuurlijk klopt dat niet helemaal, maar worteltjes zijn wel een bron van vitamine A en dat kan nachtblindheid voorkomen.

OPDRACHT 17
Wanneer je lang naar de zon kijkt of naar 2 felle koplampen van een auto ’s nachts, blijf je nog een tijdje dat beeld zien. We noemen dit een positief nabeeld
In een positief nabeeld worden de kleuren van het originele beeld behouden: het nabeeld ziet er hetzelfde uit als het oorspronkelijke beeld. Je kunt zelf een positief nabeeld ervaren door een tijdje naar een zeer helder verlichte scène te kijken en vervolgens je ogen te sluiten. Heel even ‘zie’ je dan de originele scène in dezelfde kleuren en helderheid.
Een tekenfilm maken kost veel tijd. Je hebt namelijk 24 beelden per seconde nodig. Voor een film van 75 minuten is dat gauw 100 000 beelden. Hoe komt het dat we zo veel beelden nodig hebben?

OPDRACHT 18
Maar er bestaat ook zoiets als een negatief nabeeld. Als je bijvoorbeeld een lange tijd naar een goed verlichte rode appel kijkt, en vervolgens je ogen richt op een wit blad papier, zal je een groene appel zien. Groen is immers de complementaire kleur van rood. Dat komt omdat de kegeltjes die het rood detecteerden op de afbeelding even tijd nodig hebben om te herstellen, waardoor je een ‘negatief’ beeld ziet.
Hoe kunnen we de nawerking van kleuren aantonen?
1 Kleur de afbeelding met een roze fluostift in.
2 Kijk één minuut naar de ingekleurde afbeelding.
3 Kijk vervolgens naar de witte ruimte naast de afbeelding.
4 Beantwoord de vragen.
• Wat zie je?
• Wat gebeurt er met je kegeltjes wanneer je naar de roze like kijkt?
• Wat gebeurt er met je kegeltjes wanneer je naar het witte blad kijkt?
D Hoe worden lichtprikkels verwerkt?
OPDRACHT 19
Wat is het verschil in zien tussen kijken met één oog of kijken met twee ogen?
1 Hou met gestrekte linkerarm een balpen voor je met de punt omhoog en sluit één oog. Probeer nu met de top van je rechterwijsvinger de punt van de balpen te raken.
Wat neem je waar?
2 Doe net hetzelfde maar nu met beide ogen open.
Wat neem je waar?
3 Wat is het voordeel van kijken met beide ogen?
OPDRACHT 20
Wat zie je in je beeld op de plaats van de blinde vlek?
1 Volg de instructies.
a Houd je leerschrift verticaal met de armen gestrekt zo ver mogelijk voor je uit.
b Knijp je linkeroog dicht.
c Kijk met je rechteroog naar het witte bolletje.
d Breng je boek langzaam dichter bij je rechteroog totdat het beeld van het sterretje op de blinde vlek valt.
2 Waarneming
a Zie je een ‘gat’ in het beeld op de plaats van het sterretje?
b Wat neem je dan waar?
3 Verklaring
a Waarom zie je geen ‘gat’ op de plaats van de blinde vlek?

b Welke structuur in ons lichaam is daarvoor verantwoordelijk?
OPDRACHT 21
Ontdek een aantal optische illusies.
Bekijk de afbeeldingen en noteer je waarnemingen.
Wat zie je?
Welke blauwe streep is de langste?
Beweeg met je ogen over het beeld of beweeg het beeld langzaam heen en weer. Wat stel je vast?
Het eigenlijke zien gebeurt niet met onze ogen, maar wel met onze hersenen Op het netvlies van beide ogen wordt in de gele vlek een omgekeerd, verkleind en scherp beeld van een voorwerp gevormd (afbeelding 23).
De hersenen verwerken de twee netvliesbeelden tot één geheel. Daardoor heb je dieptezicht.
Bovendien zie je de wereld niet omgekeerd en verkleind. Door ervaring interpreteren de hersenen de beelden als rechtopstaande beelden. Ook van de blinde vlek op het netvlies van beide ogen hebben we geen last. Er ontstaat geen ‘gat’ in het gezichtsveld, omdat de hersenen het beeld aanvullen. Het omringende beeld breidt zich uit naar het gebied van het ‘gat’. Gezichtsbedrog of optische illusie is iets wat je ogen zien, maar waar je hersenen een andere interpretatie aan geven.
W Afb 67 Interpretatie van het netvliesbeeld door de hersenen
Lichtprikkels worden verwerkt door de hersenen. Ze verwerken de twee netvliesbeelden tot één geheel waardoor je dieptezicht hebt. Door ervaring interpreteren de hersenen de beelden als rechtopstaande beelden Op de plaats van de blinde vlek vullen de hersenen het beeld aan met het beeld van het omringende gebied.
Optische illusies of gezichtsbedrog is wanneer je ogen iets zien, maar je hersenen er een andere interpretatie aan geven.
Een positief nabeeld is het even ‘blijven zien’ van het beeld dat je ogen opvingen.
Een negatief nabeeld is wanneer de kegeltjes van een bepaalde kleur moeten herstellen, waardoor je het beeld nog ziet, maar in de complementaire kleur.
` Maak oefening 12 t/m 14 op p. 151-152.
1 Hoe is het oog opgebouwd?
Begrip Functie
zorgen ervoor dat water en zweet niet in het oog lopen.
werken als een stof- en zonnefilter.
beschermt het oog tegen uitdrogen en infecties.
beschermt de rand van de oogleden tegen vocht.
verdelen traanvocht en beschermen tegen stof en licht.
beschermt het oog door een slijmerige vloeistof te produceren.
oogspieren
bindvlies
vetweefsel
bovenste ooglid
wimpers
wimpers onderste ooglid
oogspieren oogkas
geeft kleur aan de ogen
bevat waterige vloeistof die hoornvlies beschermt
regelt druk in het oog
zorgt voor af- en aanvoer van stoffen
laat het licht binnen zorgt voor beeldvorming
helpen om de ogen te bewegen
omhulsel dat het oog beschermt
2.1 Hoe regelt het oog de hoeveelheid doorgelaten licht?
zorgt voor aan- en afvoer van allerlei stoffen bevat fotoreceptoren
hier zie je het best
bevat geen fotoreceptoren
vervoert signalen naar de hersenen
• De lichtstralen vallen het oog binnen doorheen het (1) en lopen dan doorheen de (2).
• In de pupil wordt de hoeveelheid invallend licht geregeld door de irisspieren (3): bij het samentrekken van de straalspieren wordt de diameter van de pupil , waardoor meer licht het oog binnenvalt;
bij het samentrekken van de kringspieren wordt de pupil , waardoor het oog wordt beschermd tegen te veel invallend licht.
2.2 Op welke manier wordt het beeld in het oog gevormd?
Vooraleer de lichtstralen op het netvlies terechtkomen, passeren ze meerdere structuren, telkens met hun eigen . Dat veroorzaakt een afbuiging van de lichtstraling.
Zo ontstaat er een en beeld op het netvlies.
2.3 Hoe zorgt het oog voor een scherp beeld?
• De kromming van de (5) wordt met behulp van accommodatiespieren (6) aangepast: als de accommodatiespieren ontspannen zijn, is de lens ; als de accommodatiespieren opgespannen zijn, is de lens
• Er ontstaat een scherp beeld op het (4).
2.4 Waar liggen de fotoreceptoren en hoe zijn ze opgebouwd?
• Het netvlies bevat twee soorten fotoreceptoren: de en de (7).
De vereisen weinig licht, ze worden geprikkeld bij lage lichtintensiteiten en kunnen geen kleur waarnemen.
De dienen voor kleurenzicht. Verschillende kleuren kunnen we zien doordat een of meerdere soorten kegeltjes geprikkeld worden. Het grootste aantal kegeltjes zit in de (11). Daar zie je het best.
• Het licht wordt door rodopsine in de fotoreceptoren. Dat veroorzaakt een van rodopsine, waardoor de fotoreceptoren geactiveerd worden en er een signaal ontstaat.
• De fotoreceptoren geven elektrische signalen door naar (8), die op hun beurt de zenuwcellen of (9) prikkelen. De uitlopers van zenuwcellen komen samen in de en vormen daar de oogzenuw (10).
• De oogzenuw (10) geleidt het elektrisch signaal naar de hersenen.
2.5 Hoe worden lichtprikkels verwerkt?
• Lichtprikkels worden verwerkt door de . Ze verwerken de twee netvliesbeelden tot één geheel; daardoor heb je .
• Op de plaats van de vullen de hersenen het beeld aan met het beeld van het omringende gebied.
• Gezichtsbedrog of optische illusie is iets wat je ogen zien, maar waar je hersenen een aan geven.
• Een is het even ‘blijven zien’ van het beeld dat je ogen opvingen.
• Een is wanneer de kegeltjes van een bepaalde kleur moeten herstellen, waardoor je het beeld ziet nog ziet, maar in de complementaire kleur.
Eigen notities
1 Begripskennis
• Ik kan de structuren rond en in het oog benoemen en aanduiden.
• Ik kan uitleggen wat de functie van die structuren is.
• Ik kan uitleggen hoe de irisspieren een rol spelen in de hoeveelheid binnengelaten licht.
• Ik kan de weg van een lichtstraal vanaf een voorwerp tot het netvlies beschrijven
• Ik kan verklaren hoe het komt dat er in het oog een omgekeerd en verkleind beeld ontstaat.
• Ik kan uitleggen hoe het oog scherpstelt op een voorwerp veraf en dichtbij.
• Ik kan de delen van het netvlies benoemen en aanduiden
• Ik kan de rol van fotoreceptoren beschrijven in het omzetten van lichtprikkels naar een zenuwsignaal.
• Ik kan verklaren wat de rol is van de kegeltjes en de staafjes bij het kijken in licht en donker en bij het zien van kleuren.
• Ik kan uitleggen hoe de hersenen een rol spelen in de vorming van het beeld.
• Ik kan aan de hand van enkele voorbeelden uitleggen hoe de werking van het oog verstoord kan zijn.
2 Onderzoeksvaardigheden
• Ik kan een experiment uitvoeren en de waarneming formuleren.
• Ik kan de waarneming verklaren
• Ik kan een hypothese en een waarneming formuleren.
• Ik kan een waarneming interpreteren of verklaren
` Je kunt deze checklist ook op invullen bij je portfolio.
Eigen notities
1
Verbind de beschermende delen van het oog met hun (functie)omschrijvingen.
Beschermend deel rond het oog
A oogkas
B vetweefsel
C wenkbrauwen
D wimpers
E talgklieren tussen de wimpers
F traanklier met traanvocht
G oogleden
Functie
1 verhinderen dat water en zweet in de ogen lopen
2 schokken opvangen
3 oogbol ontsmetten
4 talg produceren om de randen van de oogleden waterafstotend te maken
5 oogbol beschermen tegen uitdrogen
6 vormt stevig omhulsel rond het oog
7 stofdeeltjes tegenhouden
8 traanvocht verdelen en beschermen tegen stof en fel licht
Beschermend deel rond het oog
A B C D E F G
Bekijk de afbeelding van het oog en de tabel.
a Omschrijf de eigenschappen of de functie bij elk onderdeel.
b Noteer het overeenkomstige nummer op de tekening in de derde kolom.
Onderdeel
blinde vlek
glasachtig lichaam
Eigenschappen of functie Nummer
Onderdeel
vaatvlies
Eigenschappen of functie
netvlies
pupil
lens
harde oogvlies
Wat is het verband tussen
a het hoornvlies en het harde oogvlies?
b het bindvlies en het hoornvlies?
Voor een oogonderzoek is er een sterke belichting nodig. Om te vermijden dat de pupil sluit, druppelt de oogarts een pupilverwijdende vloeistof in het oog.
a Welke irisspieren worden daardoor verlamd?
b Welke irisspieren worden daardoor geactiveerd?
Markeer het juiste antwoord.
De persoon in deze foto staat in een kamer met veel licht/weinig licht. Dit weet je omdat de diameter van de pupil/iris klein is.
Dit komt door het samentrekken van de kringspieren/ straalspieren.

Vervolledig de afbeeldingen.
a Teken links een pupil van een oog dat zich in een donkere omgeving bevindt.
b Teken rechts een pupil van een oog in een goed verlichte omgeving.
Wat gebeurt er wanneer een lichtstraal invalt op een bolle lens?
Hoe zorgt het oog voor een scherp beeld?
Duid de juiste stelling aan.
bloem op netvlies: groter en zelfde richting (naar omhoog gericht)
bloem op netvlies: kleiner en zelfde richting
bloem op netvlies: kleiner en omgedraaid
bloem op netvlies: groter en omgedraaid.

a Wat is de toestand van de accomodatiespier, de lensbanden en de ooglens? Duid het juiste antwoord aan in de tabel.
b Noteer volgende begrippen onder de juiste tekening: veraf kijken – dichtbij kijken.
lensbandje lens
accomodatiespieren
accomodatiespier samengetrokken ontspannen lensbandjes hangen door aangespannen
ooglens bol afgeplat kijken kijken
Zijn de onderstaande eigenschappen van toepassing op de staafjes of op de kegeltjes?
Zet een kruisje op de juiste plaats in de tabel.
Eigenschappen
liggen in de gele vlek
zijn kleurgevoelig
zijn heel lichtgevoelig
hebben een lage prikkeldrempel
liggen in de blinde vlek
hebben een hoge prikkeldrempel
Staafjes Kegeltjes
We hebben kegeltjes voor rood, groen en blauw licht. Hoe kunnen we andere kleuren waarnemen?
De plaats waar de blinde vlek ligt, bevat geen fotoreceptoren. Hoe komt het dat we dat niet merken?
Situeer de verschillende stappen van het zien vanaf de lichtinval via de pupil tot het ontvangen van het signaal in de hersenen.
Welk begrip wordt hier geïllustreerd?
Kies uit:
optische illusie (1) – positief nabeeld (2) – negatief nabeeld (3)
Dit is de vlag van de Verenigde Staten (in complementaire kleuren).
- Staar naar de middelste streep gedurende 25-30 seconden.
- Kijk dan naar een wit blad papier (of een witte muur) en knipper snel met je ogen. De vlag krijgt de juiste kleuren.
Focus op het midden van de afbeelding. Begint het je ook te draaien?

Wanneer je ’s nachts een tegenligger op de baan tegenkomt, en je kijkt in de koplampen, dan zie je een tijdje lang de lichten voor je ogen (ook al sluit je je ogen).

Tijdens de CHECK IN heb je ontdekt hoe je lichaam reageert op prikkelende stoffen. We zagen hoe je begon te wenen bij het snijden van een ui.
1 Welke prikkels kan je lichaam nog waarnemen?
2 Hoe neemt je lichaam die prikkels waar?
3 Waar in je lichaam bevinden zich receptoren om de prikkels waar te nemen?

4 Hoe verwerkt je lichaam die prikkels?
Organismen hebben receptoren om op prikkels te reageren. Receptoren zijn vaak gespecialiseerde structuren die in zintuigen gelokaliseerd zijn. Soms kunnen receptoren ook zenuwuiteinden zijn zoals pijnreceptoren. Als receptoren geprikkeld worden, sturen ze een signaal naar de hersenen zodat de effectoren op een gepaste manier kunnen reageren.
De prikkelende stof van de ui is een uitwendige prikkel die een regelsysteem in gang kan zetten. De prikkel wordt opgevangen door de receptoren in het hoornvlies. Een signaal via het zenuwstelsel zorgt voor een snelle reactie door de effectoren: de traanklieren worden geactiveerd en het oog begint te tranen.

De aarde leeft op zonne-energie. Door die energie ontstaat er een leefbaar klimaat, kennen we dag en nacht, groeien planten en kunnen we als mens andere energievormen ontwikkelen. De zon zal volgens wetenschappers nog 4,5 miljard jaar bestaan. Hopelijk heeft de mensheid al iets eerder grote verhuisplannen gemaakt!

1 Wanneer bereikt volgens jou het zonlicht de aarde?
Duid je hypothese aan.
onmiddellijk
na ongeveer acht seconden
na ongeveer acht minuten
na ongeveer acht uur
2 Welke gegevens heb je nodig om dat te kunnen berekenen?
WEETJE
Het zonlicht ontstaat doordat er in de zon voortdurend waterstofkernen samensmelten tot heliumkernen.
(Helios is Grieks voor ‘zon’.) Daarbij komt enorm veel warmte vrij, waardoor de zon een grote vuurbol is met temperaturen tot wel 15 miljoen graden Celsius in de kern.
Op aarde proberen wetenschappers dat proces na te bootsen met een soortgelijke reactie (zie afbeelding).
Mochten we daar ooit in slagen, dan zou dat een vorm van energieproductie zijn zonder schadelijke afvalstoffen.
Helaas zijn de voorwaarden om de samensmelting te veroorzaken, zo moeilijk dat dat voorlopig nog niet gelukt is.




























` Hoe kunnen we de beweging van het zonlicht beschrijven met berekeningen en grafieken?
We zoeken het uit!








OPDRACHT 1
Bestudeer de foto’s.
1 Vul de tabel aan.



Voorwerp dat in beweging is (ten opzichte van de aarde)
Voorwerp dat in rust is (ten opzichte van de aarde)
2 Omschrijf de begrippen in eigen woorden.
a In beweging zijn ten opzichte van de aarde:
b In rust zijn ten opzichte van de aarde:
OPDRACHT 2
Bestudeer grootheden en eenheden.
1 Bestudeer de begrippen. Markeer:
• de grootheden in blauw,
• de eenheden in groen.
2 Kies uit de begrippen de drie grootheden en de drie eenheden die je gebruikt om een beweging te beschrijven.
Noteer in de tabel.
BEWEGINGSGROOTHEDEN
newton kracht
BIJPASSENDE EENHEDEN chronometer
geur beweging kilometer per uur snelheid liter uur meter volume tijd afstand
OPDRACHT 3
Bestudeer de meetinstrumenten om afstand en tijd op te meten.
1 Vul de tabel aan.
MEETINSTRUMENT


rolmeter

meetlat


chronometer

uurwerk
SCHAALVERDELING / MAXIMALE WAARDE
• kleinste schaalverdeling:
• maximale waarde:
• kleinste schaalverdeling:
• maximale waarde:
• kleinste schaalverdeling:
• maximale waarde:
• kleinste schaalverdeling:
• maximale waarde:
2 Rangschik de volgende meettoestellen van tijd volgens toenemende meetnauwkeurigheid.




Een grootheid meet je op met een meettoestel. Voor de keuze van een geschikt meetinstrument houd je rekening met:
• de meetnauwkeurigheid: de kleinste schaalverdeling die je kunt aflezen;
• het meetbereik: de maximale waarde die je kunt aflezen.
Een voorwerp is in beweging als de positie verandert (ten opzichte van de aarde) in functie van de tijd. Om de beweging te beschrijven bepaal je de grootheden tijd, plaats en snelheid. Je drukt dat uit in een bepaalde eenheid.
LEERDOELEN
Je kunt al:
L grootheden en eenheden herkennen;
L een beweging omschrijven.
Je leert nu:
L een rechtlijnige beweging voorstellen;
L de positie en de verplaatsing bepalen;
L een bepaalde snelheid berekenen;
L een formule omvormen en vraagstukken over snelheid oplossen;
L de ogenblikkelijke snelheid voorstellen als een vector.

In het verkeer is iedereen in beweging. Voetgangers, fietsers en automobilisten voeren daarbij willekeurige, maar ook rechtlijnige bewegingen uit.
In dit hoofdstuk gaan we op zoek naar een wetenschappelijke manier om die rechtlijnige bewegingen te beschrijven. Dat doen we door de baan voor te stellen en door de verplaatsing en de snelheid te bepalen.
1 Wat betekent je verplaatsen tussen twee punten?
OPDRACHT 4
Welke informatie kun je berekenen uit een bewegingsrapport?
Bestudeer de gegevens uit het bijbehorende Strava-rapport van een hardloopsessie van Bram. Beantwoord de vragen.
1 Hoe zie je dat Bram gelopen heeft?
Hardloopsessie

Bram 14 juli om 18:10
Afstand 5,03 km
Calorieën 309 kcal
Afb 68
2 Je kunt twee soorten tijden (tijdstip en tijdsverloop) aflezen uit het Strava-rapport. Noteer en omschrijf ze in de tabel.
Tijdstip
Tijd
Omschrijving
Beweegtijd 30:10
Gem. hartslag 151 bpm
Hardloopsessie
Tijdsverloop
SI is de afkorting van système international. SI-eenheid betekent dat het in de standaardeenheid is en dat je in fomrules die eenheid moet gebruiken. Via de QR-code leer je meer over grootheden (wat je meet) en eenheden (de maat waarin je iets uitdrukt).
We gebruiken tijd in het dagelijkste leven op twee verschillende manieren:
• een tijdstip: een concreet moment in de tijd
Voorbeelden: kijken hoe laat het is, het tijdstip vastleggen om met een vriend af te spreken.
• een tijdsverloop: de tijd tussen twee tijdstippen
Voorbeelden: kooktijd van pasta, je leeftijd aangeven of de tijdsduur van een loopwedstrijd.
Om het tijdsverloop te berekenen meet je het tijdstip waar op de meting start (tbegin) en het tijdstip waarop de meting stopt (teind). Op een chronometer of stopwatch is de begintijd tbegin = 0 s.
GROOTHEDEN EN EENHEDEN
Het tijdsverloop, ook wel tijdsduur of tijdsinterval genoemd, bereken je als:
Δt = teind – tbegin
Het tijdsverloop is altijd positief, omdat de tijd nooit achteruitgaat
(teind > tbegin)
Grootheid met symbool SI-eenheid met symbool tijdstip t seconde s
tijdsverloop ∆t = teind – tbegin seconde s
Het symbool ∆ is de Griekse letter delta. Dat symbool gebruik je in de fysica om een verschil tussen twee meetwaarden aan te geven. Uit de wiskunde ken je dat als het begin- en eindpunt van een interval: [tbegin, teind]
VOORBEELD TIJDSTIP EN TIJDSVERLOOP VAN
EEN PIZZABEZORGER
Een pizzabezorger vertrekt om 20.50 u met de pizza. Om 20.56 u belt hij aan bij het leveradres. De tijdstippen zijn gegeven: tbegin = 20.50 u en teind = 20.56 u.
Daarmee bepaal je het tijdsverloop: Δt = teind – tbegin = 20.56 u – 20.50 u = 6 min.
Een tijdstip is een moment in de tijd. Een tijdsverloop of een tijdsinterval is de tijd tussen twee tijdstippen
Grootheid met symbool SI-eenheid met symbool tijdstip t seconde s tijdsverloop ∆t = teind – tbegin seconde s
OPDRACHT 5
Welke informatie kun je aflezen op een bewegingskaart?
Bestudeer het Strava-kaartje van een hardloopsessie van Bram. Beantwoord de vragen.
1 Hoe zie je dat Bram bewogen heeft?
2 Wat kun je afleiden uit de getekende weg? Duid aan. Er zijn meerdere antwoorden mogelijk.
Het vertrek- en aankomstpunt vallen niet samen.
De beweging gebeurt in één bepaalde richting.
De beweging gebeurt in meerdere richtingen.
OPDRACHT 6
Bestudeer een stukje rechte weg tijdens de hardloopsessie van Bram.

1 Vul de kenmerken van de beweging aan. Kies uit:
- richting: horizontaal, verticaal, schuin
- zin: naar boven, naar beneden, naar links, naar rechts
(Bewegings)richting:
(Bewegings)zin:
OPDRACHT 6 (VERVOLG)
2 Teken een positie-as (x-as) op de afbeelding, volgens de kenmerken van de beweging.
• Teken een pijl van de boom tot voorbij de vuilnisbak.
• Benoem de as met x(m).
• Elke centimeter op de as komt overeen met een meter in werkelijkheid. Breng die schaal aan.
3 Bepaal de positie x van de gevraagde objecten.
• positie van de boom: xboom=
• positie van de loper: xBram=
• positie van de vuilnisbak: xbak=
Om een beweging te beschrijven, moet je de positie van een voorwerp weergeven in een assenstelsel
Bij een rechtlijnige beweging gebeurt de beweging in één richting en is één as voldoende.
Je noemt die positie-as de x-as.
Het bewegende voorwerp stel je voor door een massapunt (= een centraal punt op het voorwerp). De positie stel je voor met de letter x en een onderschrift in de benaming.
Grootheid met symbool SI-eenheid met symbool positie x meter m
Voor elke beweging kies je een positie-as die aansluit bij de beweging:
• oorsprong van de x-as: het vertrekpunt,
• richting van de x-as: de rechte waarop de beweging plaatsvindt (horizontaal/verticaal/schuin),
• zin van de x-as: weg van het vertrekpunt (links/rechts/boven/onder).
Tijdens de beweging kan elk voorwerp op twee verschillende manieren langs de x-as bewegen:
• bewegen volgens de positie-as
• bewegen tegengesteld aan de positie-as
De x-as (positie-as) is dus niet hetzelfde als de x-as die je kent uit wiskunde. In wiskunde wordt de x-as altijd horizontaal naar rechts gekozen. De positieas in fysica wordt gekozen volgens de richting en de zin van de beweging.
OPDRACHT 7
Bestudeer de twee verschillende bewegingen.
1 Teken bij beide bewegingen een x-as.
2 Stel de bewegende voorwerpen voor door centraal op de voorwerpen een punt te tekenen.
3 Duid in de tabel de beschreven bewegingszin aan.
1

Beweging volgens de x-as
Beweging tegengesteld aan de x-as
2

De attractie stijgt / daalt De mensen zwemmen naar links / rechts
De attractie stijgt / daalt De mensen zwemmen naar links / rechts
x (km) 3,5
Bij een rechtlijnige beweging verandert de positie x. Voor elk traject is er een beginpunt (genoteerd als xbegin) en een eindpunt (genoteerd als xeind).
De kortste afstand tussen beide noem je de verplaatsing
Je leest de verplaatsing af met behulp van de baanvoorstelling op de x-as.
Grootheid met symbool SI-eenheid met symbool verplaatsing ∆x = xeind – xbegin meter m
VOORBEELD VERPLAATSING VAN DE PIZZABEZORGER
Voor de pizzabezorger zijn er drie trajecten. Je leest de verplaatsing af op de baanvoorstelling.
Groene pijl: heentraject (pizzeria huis)
∆xheen = xhuis – xpizzeria = 3,5 km – 0 km = 3,5 km
De verplaatsing is positief en verloopt dus in dezelfde zin als de x-as.
Blauwe pijl: terugtraject (huis pizzeria)
∆x terug = xpizzeria – xhuis = 0 km – 3,5 km = 3,5 km
De verplaatsing is negatief en verloopt dus tegengesteld aan de zin van de x-as.
Groene pijl gevolgd door blauwe pijl: volledige traject (pizzeria pizzeria)
∆xvolledig = xpizzeria – xpizzeria
= 0 km – 0 km = 0 km
De verplaatsing is nul, omdat het begin- en eindpunt van de beweging samenvallen.
volgens de x-as bewegen
x xbegin xeind
∆x > 0
∆x < 0 tegengesteld aan de x-as bewegen
x xbegin xeind
heen en terug bewegen
Bij een rechtlijnige beweging verandert je positie in één richting (een rechte). Je kiest een positie-as volgens de bewegingsrichting.
Voor elke deelbeweging kun je de verplaatsing berekenen als
∆x = xeind – xbegin, waarbij je het begin- en eindpunt (voor die deelbeweging) afleest op de x-as.
Grootheid met symboolSI-eenheid met symbool positie x meter m verplaatsing ∆x = xeind – xbegin meter m
` Maak oefening 1 t/m 4 op p. 173-174.
Om de grootte van de snelheid van een voorwerp te bepalen, meet je de grootte van de verplaatsing ∆x en het tijdsverloop ∆t dat nodig is om die afstand af te leggen. x
xbegin tbegin xeind teind ∆x = xeind xbegin ∆t = teind xbegin Afb 74
• Als je de verplaatsing ∆x meet, meet je de grootheid afstand in meter.
Je gebruikt een meetlat, een rolmeter, een laserafstandsmeter …
• Als je het tijdsverloop ∆t meet, meet je een tijd in seconde.
Je gebruikt een chronometer of je smartphone.
• De snelheid v is de verhouding van de verplaatsing ∆x ten opzichte van het tijdsverloop ∆t:
Grootheid met symbool SI-eenheid met symbool snelheid meter per seconde v = ∆x ∆t
Je gebruikt de opgemeten waarden voor de verplaatsing en het tijdsverloop.
Bestudeer het uitgewerkte vraagstuk.
Een pizzabezorger levert in 6,00 minuten een pizza bij een huis op 3,5 km van de pizzeria.
Hij heeft geluk: het verkeerslicht op 2,0 km van de pizzeria staat op groen.
1 Welke snelheid heeft de pizzabezorger (in meter per seconde)?
2 Na hoeveel minuten en seconden passeert hij het verkeerslicht?
Uitgeschreven vraagstuk
Gegeven: positie van het huis = 3,5 kilometer positie van de pizzeria = 0,0 kilometer positie van het licht = 2,0 kilometer tijdsverloop = 6,00 minuten
Gevraagd:
a Wat is de snelheid?
b Na hoeveel tijd passeert hij het licht?
Oplossing:
a De verplaatsing is van de pizzeria op 0,0 kilometer tot aan het huis op positie 3,5 kilometer. Dat komt overeen met een verplaatsing van 3,5 · 10³ meter. Het tijdsverloop is 6,00 minuten, ofwel 360 seconden.
De snelheid is de verhouding van afstand op tijd, 3,5 · 10³ meter op 360 seconden is 9,7 meter per seconde.
b Je kunt de tijd om tot aan het stoplicht te geraken bepalen via de afstand tot het stoplicht en de nu gekende snelheid.
De verplaatsing gebeurt van 0,0 km tot 2,0 km en de snelheid is 9,7 meter per seconde. Er passen 3 maal 60 seconden in de 206 s.
Dat zijn dus 3 minuten met nog 26 seconden.
BEREKENINGEN AFRONDEN
Vraagstuk met symbolen
Geg.:
xhuis = 3,5 km
xpizzeria = 0,0 km
xlicht = 2,0 km
Δt = 6,00 min
Gevr.:
v = ?
Δtlicht = ?
Opl.:
a Δx = xeind – xbegin = 3,5 km – 0,0 km = 3,5 km = 3,5 · 10³ m
Δt = 6,00 min = 360 s
v = ∆x ∆t = 3,5 · 103 m 360 s = 9,7 m s
b Δtlicht = ∆xlicht v = (xlicht – xbegin) v = (2,0 km – 0,0 km) 9,7 m s
= (2,0 · 103 m) 9,7 m s = 206 s
= 3 min 26 s
OPDRACHT 8 (VERVOLG) VOORBEELDOEFENING
Controle: Bestudeer de berekende waarden.
a Kloppen de eenheden? Ja
• m s is een eenheid van snelheid.
• min is een eenheid van tijd.
b Klopt de grootte van de getalwaarde? Ja
• Ongeveer 10 m s (30 tot 40 km h ) is een normale waarde voor een bromfiets.
• De tijd is iets meer dan de helft van de tijd voor het volledige traject.
OPLOSSINGSSTRATEGIE
• Omschrijf in je eigen woorden wat er gebeurt en wat je zoekt.
• Stel de baan voor op een geschikte x-as.
• Noteer de gekende waarden op de baan.
• Denk na over de gegevens die je nodig hebt om de snelheid te berekenen.
• Noteer alles in symbolen bij de gegevens en het gevraagde.
• Werk de oplossing uit.
—Noteer de geschikte formule.
—Hervorm de formule indien nodig.
—Vul de gegevens in.
—Vergeet de eenheid niet.
—Reken uit.
—Rond af.
• Sta stil bij de oplossing.
—Klopt de eenheid?
—Klopt de getalwaarde? EENHEDEN OMZETTEN
OPDRACHT 9
Vorm de basisformule voor snelheid om.
1 Hoe kun je de verplaatsing berekenen, als de snelheid en het tijdsverloop gegeven zijn?
2 Hoe kun je het tijdsverloop berekenen, als de snelheid en de verplaatsing gegeven zijn?
• Onthoud enkel de basisformule.
• Gebruik de hoofdeigenschap van evenredigheden (kruisproduct) voor de omgevormde formules.
a b = c d a d = b c
Hier is a = v; b = 1; c = ∆x en d = ∆t
• Gebruik eenvoudige getallen om je omzetting te controleren.
Voorbeeld: 3 = 6 2 , dus 6 = 3 ∙ 2 en 2 = 6 3


Snelheid wordt uitgedrukt in de eenheden km h of m s . Die keuze hangt af van de situatie.
• De eenheid kilometer per uur ( km h ) wordt het meest gebruikt voor alledaagse snelheden, zoals snelheden in het verkeer. Je legt lange afstanden af en bent een lange tijd in beweging.
Voorbeeld: Een auto rijdt aan een snelheid van 70 km h .
• De eenheid meter per seconde ( m s ) wordt gebruikt voor korte en snelle bewegingen.
Voorbeelden:
—Usain Bolt liep het wereldrecord 100 meter sprint aan 10,4 m s
—De lichtsnelheid is 3,00 ∙ 108 m s
In de wetenschap is m s de SI-eenheid.
Je kunt een snelheid omzetten van de ene naar de andere eenheid door de omzettingsfactor te gebruiken.
VOORBEELD SNELHEID VAN DE PIZZABEZORGER OMZETTEN
OPDRACHT 10
De snelheid van de pizzabezorger is 9,7 m s tijdens de heenrit. Je kunt dat omrekenen naar km h :
v = 9,7 m s = 9,7 3,6 km h = 35 km h
Ga op zoek naar de omzettingsfactor tussen m s en km h .
Vul de omzettingsschema’s aan.
• omzetting m s naar km h
1,0 m s = 1,0 m 1,0 s = 3 600 m = km h = km h
• omzetting km h naar m s
1,0 km h = 1,0 km 1,0 h = m = m s = m s 1,0 m s km h :
Om de snelheid in een tijdsverloop te berekenen, deel je de verplaatsing door het tijdsverloop waarin de beweging plaatsvindt.
Grootheid met symbool SI-eenheid met symbool snelheid meter per seconde
Kilometer per uur ( km h ) is een andere veelgebruikte eenheid van snelheid.
1,0 m s 3,6 km h : 3,6
∙ 3,6
` Maak oefening 5 t/m 9 op p. 174-176.
In het verkeer maken we een onderscheid tussen een ogenblikkelijke snelheid en een gemiddelde snelheid. De politie maakt gebruik van twee verschillende methodes om snelheidsovertredingen te meten. Je komt meer te weten bij het onlinelesmateriaal.
OPDRACHT 11
Bestudeer de afbeelding en beantwoord de vragen.
1 Voor elk voertuig is zijn snelheidsmeter weergegeven.
Vervolledig de tabel met de bewegingsrichting en -zin van elk voertuig.
Voertuig gele auto (G) rode auto (R) witte auto (W)
Richting Zin
2 Stel voor elk voertuig de snelheid voor als een vector.
a Teken vanuit het massapunt een pijl, zodat alle kenmerken van de snelheid duidelijk zijn. b Benoem de vector met het vectorsymbool. Bijvoorbeeld voor de gele auto: vG.
3 De gele auto doet 45 minuten over 30 km. Ga na met berekeningen of de berekende snelheid hetzelfde is als de snelheid die je afleest op de afbeelding.
Gegeven:
Gevraagd:
Oplossing:
Controle: Vergelijk de snelheid die je berekende met de snelheid op de afbeelding. Verklaar.
Een vector in de fysica is een pijl met de naam van de grootheid. Om aan te duiden dat het een vector is, staat altijd een klein pijltje naar rechts op de grootheid.
zin grootte richting
aangrijpingspunt v TIP
Een schaal wordt weergegeven met een symbool: 1 cm
Dat betekent: 1 cm komt overeen met ... TIP
De snelheid van een voorwerp kun je voorstellen door een snelheidsvector v met vier kenmerken:
• het aangrijpingspunt: een centraal punt (= massapunt) op het voorwerp,
• de richting: de richting van de positie-as (x-as),
• de zin: de bewegingszin, aangegeven door de pijlpunt,
• de grootte: de getalwaarde van de snelheid, aangegeven door de lengte van de pijl. Om de snelheidsgrootte precies weer te geven, is er een schaalverdeling
VOORBEELD SNELHEIDSVECTOREN VAN DE PIZZABEZORGER
Hieronder zie je de vectorvoorstelling van de snelheid van de pizzabezorger op drie momenten. De kenmerken van de vectoren vind je in de tabel.
Topsnelheid tijdens heenrit v1
Lagere snelheid door hinder van fietsers tijdens heenrit v2
Topsnelheid tijdens terugrit v3
1 cm 20 km h
Aangrijpingspunt massapuntmassapuntmassapunt
Richting horizontaalhorizontaalhorizontaal
Zin naar rechtsnaar rechtsnaar links
Grootte 40 km h 25 km h 40 km h
Notatie v1 v2 v3
Via de lengteverhouding van de vectoren kun je de snelheden rangschikken volgens hun grootte (v2 < v1 = v3).
Voor de pizzabezorger is die 1 cm 40 km h . Dat betekent dat 1 cm overeenkomt met een snelheid van 40 km h :
• v1 = 40 km h , de pijl van v1 heeft een lengte van 1 cm,
• v2 = 25 km h , de pijl van v2 heeft een lengte van 25 40 cm = 0,6 cm.
traag bewegen volgens de positie-as
snel bewegen, tegengesteld aan de positie-as
Afb 77 x v
De snelheid kun je voorstellen als een vector met het symbool v:
` Maak oefening 10 op p. 176. x v
• aangrijpingspunt: het massapunt,
• richting: de bewegingsrichting ,
• zin: de bewegingszin,
• grootte: de getalwaarde van de ogenblikkelijke snelheid. Om de grootte van de snelheidsvector precies weer te geven, voeg je een schaalverdeling toe.
POSITIE
• = verandering van de positie in de tijd
• = plaats waar een voorwerp zich bevindt
met symbool met symbool
x ∆x = xeind – xbegin
∆t = teind – tbegin
achteruit bewegen: ∆x 0
vooruit bewegen: ∆x 0 x
seconde of uur of x
SNELHEID
• snelheid = tempo van de verandering
met symbool
v =
• omzettingsfactor tussen m s en km h
Teken de snelheidsvectoren op de figuren.
met symbool
meter per seconde / kilometer per uur /
1,0 m s km h : zin grootte richting aangrijpingspunt v
traag bewegen volgens de positie-as x
x
snel bewegen tegengesteld aan positie-as
1 Begripskennis
• Ik kan omschrijven wat richting en zin zijn.
• Ik kan het begrip ‘beweging’ in mijn eigen woorden omschrijven.
• Ik kan de verplaatsing van een rechtlijnige beweging bepalen
• Ik kan de verplaatsing van een rechtlijnige beweging voorstellen.
• Ik kan het begrip ‘snelheid’ in mijn eigen woorden omschrijven
• Ik kan de snelheid van een rechtlijnige beweging bepalen
• Ik kan de snelheid van een rechtlijnige beweging voorstellen als een vector.
2 Onderzoeksvaardigheden
• Ik kan eenheden omzetten.
• Ik kan formules omvormen
• Ik kan afrondingsregels toepassen
• Ik kan informatie in symbolen noteren.
• Ik kan rekenvraagstukken gestructureerd oplossen
` Je kunt deze checklist ook op invullen bij je Portfolio.
Mijn notities
Zit je vast bij een oefening?
Misschien helpen deze QR-codes je weer op weg! EENHEDEN OMZETTEN
BEREKENINGEN AFRONDEN
1 Zet de volgende metingen om naar de gevraagde eenheid:
GRAFIEKEN LEZEN
∆t = 12 min = s x = 3,245 km = m
∆t = 1 uur = s x = 12 cm = m
∆t = 7500 s = u min s x = 402 m = km
∆t = 1 jaar = uren x = 99,0 cm = mm
2 Bestudeer de onderstaande voorbeelden.
a Noteer de verplaatsing in de tabel.
b Stel de rechtlijnige bewegingen voor op een positie-as (x-as).

Je rijdt van Antwerpen naar Leuven. De afstand bedraagt 43,26 km en de rijroute 50,56 km.

Een appel valt uit een 2,5 m hoge boom.
Verplaatsing (∆x)
Voorstelling rechtlijnige beweging

Een zwemmer zwemt 100 m in een olympisch zwembad van 50 m.
3 Maak de onderstaande uitspraken correct door ze te vervolledigen met ‘altijd’, ‘soms’ of ‘nooit’.
• Een beweging is rechtlijnig.
• Een rechtlijnige beweging verloopt in één richting.
• Een rechtlijnige beweging verloopt in één zin. 1 2 3
4 Sarah werkt op de achtste verdieping. Als ze in de lift stapt op de vierde verdieping, heeft Ismael de knop van de tweede verdieping al ingedrukt. De lift werkt de verdiepingen (elk 3,2 m hoog) af volgens de indrukvolgorde.
a Noteer de posities van de tweede, vierde en achtste verdieping op de x-as.
b Splits de beweging op in deelbewegingen en bereken de verplaatsing.
• verplaatsing van de naar de verdieping:
∆x1 =
• verplaatsing van de tweede naar de achtste verdieping:
∆x2 =
• verplaatsing van de vierde naar de achtste verdieping:
∆xtot =
c Waarom is de verplaatsing van de lift tijdens het eerste deeltraject negatief?
5 Bekijk het verkeersbord.
a Welke betekenis heeft het bord?
b Hoeveel m s is 100 km h ?
c Hoeveel km h is 100 m s ?
6 Bestudeer de loopgegevens van vier lopers. Vervolledig de tabel.
Werk alle vraagstukken uit op een cursusblad met ‘gegeven’, ‘gevraagd’ en ‘oplossing’.
Je kunt de oplossingsstrategie en de voorbeeldoefeningen gebruiken als extra ondersteuning.
7
VRAAGSTUKKEN OPLOSSEN
Bestudeer de onderstaande drie wereldrecords en bereken de gemiddelde snelheid (in km h en m s ).
1 100 m sprint bij de mannen: Usain Bolt, in 9,58 s
Gegeven:
Gevraagd:
Oplossing:
2 Werelduurrecord baanrennen: Victor Campenaerts, 55,089 km in 60 min
Gegeven:
Gevraagd:
Oplossing:
8
Bestudeer de vluchten van de verschillende vliegtuigen en bereken de afstand die de ze afleggen.
1 Een F-16 doet een oefenvlucht van 43 min en haalt een snelheid van 2 414 km h .
Gegeven:
Gevraagd:
Oplossing:
2 Een helikopter van de zeemacht vliegt tijdens een reddingsoperatie gedurende 25 min 15 s aan 260 km h
Gegeven:
Gevraagd:
Oplossing:
9 Bestudeer de recordhouders uit de natuur.
Bereken de tijd die de dieren nodig hebben om 1,00 km af te leggen.
1 De slechtvalk is het snelste dier ter wereld, met een topsnelheid van 389 km h
Gegeven: Gevraagd:
Oplossing:
2 Het wereldrecord bij de slakken is 2,75 mm s
Gegeven: Gevraagd:
Oplossing:
Vergelijk de tijden. Komen de verschillen overeen met je verwachtingen?

10 Bestudeer de foto’s van sporters. De skiër en de jetskiër bewegen ongeveer even snel. De parachutespringer is net vertrokken.
a Teken en benoem de snelheidsvector op elke foto.
b Noteer de richting en zin van elke vector.

Richting Zin ` Verder oefenen? Ga naar .



LEERDOELEN
Je kunt al:
L de snelheid berekenen en voorstellen;
Je leert nu:
L de eigenschappen van een eenparig rechtlijnige beweging (ERB) opsommen;
L een ERB grafisch voorstellen aan de hand van een x(t)- en een v(t)-grafiek;
L eenvoudige bewegingsgrafieken interpreteren.
In het dagelijks leven ben je constant in beweging. Meestal beweeg je je op gekronkelde banen met hoogteverschillen en met snelheden die voortdurend veranderen.
In dit hoofdstuk zoom je in op rechtlijnige bewegingen waarvan de snelheid niet verandert. Je gaat op zoek naar een wetenschappelijke manier om die te beschrijven door de positie, het tijdstip en de snelheid te berekenen en voor te stellen.
1 Wat betekent bewegen aan een constante snelheid?
OPDRACHT 12
Bekijk de dronebeelden van een verkeerskruispunt.
Op de rechte autobaan rijdt een rode auto aan een constante snelheid v = 60 km h .
Op de U-vormige brug rijdt een rode auto aan v’ = 40 km h
1 Volg op de brug en op de rechte weg de twee rode auto’s die met een cirkel zijn aangeduid.
2 Op de onderstaande afbeeldingen zijn met stippen verschillende posities van de twee rode auto’s aangeduid. Teken en benoem de snelheidsvectoren voor de auto’s op die posities.



OPDRACHT 12 (VERVOLG)
3 Bekijk de snelheidsvectoren gedurende de hele opname.
4 Duid voor elk kenmerk van de snelheid aan of het al dan niet constant is tijdens de beweging.
Kenmerk
VECTOREN U-BOCHT
Auto op de rechte baanAuto op de U-vormige brug aangrijpingspunt constant / niet constant constant / niet constant bewegingsrichting constant / niet constant constant / niet constant bewegingszin constant / niet constant constant / niet constant snelheidsgrootte constant / niet constant constant / niet constant snelheidsvector v constant / niet constant constant / niet constant
zin grootte richting aangrijpingspunt v
VOORBEELD ERB OP ROLBAND
Snelheid is een vectoriële grootheid. Ze bestaat dus niet enkel uit een getalwaarde (de grootte), maar ook uit een richting, een zin en een aangrijpingspunt. Als iemand vraagt ‘Is de snelheid constant?’, dan moet je elke vectoreigenschap bestuderen, en niet enkel de grootte.
We spreken dus van een constante snelheid, als de volgende vier kenmerken constant blijven:
• het aangrijpingspunt,
• de richting,
• de zin,
• de grootte
We noemen dat een eenparig rechtlijnige beweging (ERB).
• eenparig: De snelheid is constant en verschillend van nul.
• rechtlijnige beweging: De beweging verloopt volgens één richting.
Bij een rechtlijnige beweging in één zin is de snelheid(svector) constant zodra de snelheidsgrootte constant is.
Als je op een rolband staat, beweeg je met een constante snelheid v De snelheidsvector v heeft volgende eigenschappen:
• aangrijpingspunt: massacentrum
• richting: horizontaal
• zin: naar rechts
• grootte: v = 2,0 m s
Gedurende het hele traject blijven alle eigenschappen van de snelheidsvector ongewijzigd. Je voert een eenparige rechtlijnige beweging (ERB) uit.
Ook alle andere personen op de rolband voeren dezelfde ERB uit.
Een beweging heeft een constante snelheid als de snelheidsvector v constant is. Een rechtlijnige beweging met een constante snelheid (verschillend van nul) noem je een eenparig rechtlijnige beweging (ERB):
• eenparig: De snelheid is constant.
• rechtlijnige beweging: De beweging verloopt volgens één richting.
` Maak oefening 1 op p. 187.
2.1 x(t)-grafiek
OPDRACHT 13
Bestudeer de beweging van een rolband aan de hand van de figuur op tbegin = 0 s.
1 Bepaal de beginpositie.
Jo is net op de rolband gestapt: xbegin, J =
De groene koffer staat naast de rolband: xbegin, k =
2 Op een x(t)-grafiek stel je de positie voor als de tijd verandert.
koffer: Jo:
Bestudeer de grafieken.
a Welke vorm heeft de grafiek bij rust (koffer)?
b Welke vorm heeft de grafiek bij ERB (Jo)?
3 Maak de uitspraak correct.
Ilona stapt naast de rolband, van links naar rechts, met een kleinere snelheid. Op de x(t)-grafiek is de helling van de rechte die haar beweging voorstelt horizontaal/dalend/stijgend en minder steil / steiler/ even steil als die van Jo.
Een beweging is een verandering van positie in de tijd. Om de beweging te bestuderen, moet je de positie op elk tijdstip kennen.
De geschikte manier om aan te geven waar het voorwerp zich bevindt op elk moment, is een x(t)-grafiek waarop de positie van het massapunt voorgesteld wordt in functie van de tijd. Op de horizontale as van een x(t)-grafiek lees je de tijd (t) af, op de verticale as van een x(t)-grafiek lees je de positie (x) af.
Je kunt een ERB voorstellen op een x(t)-grafiek: de positie x (op de verticale as) verandert volgens een schuine rechte in functie van de tijd t (op de horizontale as). Hoe steiler de rechte, hoe groter de snelheid.
Je kunt een voorwerp in rust voorstellen op een x(t)-grafiek: de positie x (op de verticale as) verandert niet en blijft een horizontale rechte in functie van de tijd t (op de horizontale as).
)-GRAFIEKEN
De helling en de ligging van de x(t)-grafiek bij een ERB zijn afhankelijk van verschillende factoren.

Voor Gregory, die al op de rolband staat, geldt xbegin = 10 m. De rechte is naar boven verschoven, maar is even steil als die van Jo omdat hij dezelfde snelheid heeft.
Voor Jo, die later op de band stapt, geldt tbegin = 2 s. De rechte is naar rechts verschoven, maar is even steil als die van Gregory omdat zij dezelfde snelheid heeft.
Op een x(t)-grafiek is de positie op elk tijdstip weergegeven. Je kunt rechtstreeks de kenmerken van de beweging afleiden:
• bewegingszin: stijgende x(t)-grafiek: beweging volgens de positie-as (x-as), dalende x(t)-grafiek: beweging tegengesteld aan de positie-as (x-as), horizontale x(t)-grafiek: geen beweging,
• verplaatsing: de afstand tussen twee punten op de verticale x-as,
• tijdsverloop: de afstand tussen twee punten op de horizontale t-as.
• De x(t)-grafiek voor een ERB is een stijgende of dalende rechte.
• De x(t)-grafiek voor een voorwerp in rust is een horizontale rechte.
Ilona is iets vergeten en wandelt met een constante snelheid van v = –1,0 m s naast de rolband. Ze beweegt tegen de gekozen x-as in vanaf xbegin = 30 m: de grafiek is een dalende rechte. Haar snelheidsgrootte is kleiner, dus de grafiek is minder steil.
2.2 v(t)-grafiek
OPDRACHT 14
Herbekijk het voorbeeld de rolband van pagina 178.
1 Op een v(t)-grafiek stel je de snelheid voor als de tijd verandert. Vul de legende aan. Kies uit: Jo - Gregory - Ilona - koffer
2 Bestudeer de grafieken.
a Welke vorm heeft de grafiek bij rust (koffer)?
b Welke vorm heeft de grafiek bij ERB (Jo)?
3 Maak de uitspraak correct.
Ilona stapt met een kleinere snelheid naast de rolband. Op de v(t)-grafiek is de helling van de rechte die haar beweging voorstelt horizontaal/dalend/stijgend en ligt minder hoog / hoger / even hoog als die van Jo.
De snelheid kun je op een v(t)-grafiek voorstellen door de snelheid op elk tijdstip aan te duiden met een punt.
Op de horizontale as van een v(t)-grafiek lees je de tijd t af, op de verticale as van een v(t)-grafiek lees je de snelheid v af. Je kunt een ERB voorstellen op een v(t)-grafiek: de snelheid v verandert niet in functie van de tijd t
De grafiek is een horizontale rechte. Hoe hoger de rechte, hoe groter de snelheid. Je kunt rust voorstellen op een v(t)-grafiek: de snelheid v is 0, verandert niet en blijft een horizontale rechte in functie van de tijd t door 0 m s
VOORBEELD v(t )-GRAFIEKEN BIJ ERB
De ligging en helling van de v(t)-grafiek is afhankelijk van verschillende factoren.
Voor Gregory, die al op de rolband staat, geldt xbegin = 10 m. De rechte ligt op dezelfde hoogte als die van Jo omdat ze dezelfde snelheid heeft.
Voor Jo, die later op de band, stapt geldt tbegin = 3 s. De rechte is naar rechts verschoven, maar ligt op dezelfde hoogte als die van Gregory omdat ze dezelfde snelheid heeft.
Ilona is iets vergeten en wandelt met een constante snelheid van v = –1,0 m s naast de rolband. Ze beweegt tegen de gekozen x-as in, de grafiek ligt onder de t-as.
Ze wandelt trager dan de anderen, de grafiek ligt dichter bij de t-as.
Op de v(t)-grafiek kun je informatie aflezen over de snelheid van een rechtlijnige beweging.
• Ligt de grafiek boven de tijdsas, dan is de snelheid positief (beweging volgens de positie-as (x-as)).
• Ligt de grafiek onder de tijdsas, dan is de snelheid negatief (beweging tegengesteld aan de positie-as (x-as)).
• Bij een ERB is de v(t)-grafiek steeds een horizontale rechte.
• Voor een voorwerp in rust, zal de v(t)-grafiek op de tijdsas liggen / nul zijn.
` Maak oefening 2 t/m 5 op p. 187-189.
OPDRACHT 15
Bekijk de video van Rocky de hond.
1 Beschrijf de beweging van Rocky.
2 De rode punten op de schermafdruk stellen het massapunt voor om de 0,2 s. Hoe zie je met die punten het verloop van de beweging?

Afb. 82 Beweging van Rocky
3 De totale verplaatsing van de hond is 0,80 m. Teken op de schermafdruk een geschikte positie-as (x-as).
Uit de positie van de massapunten (na constante tijdsintervallen) bekom je de eerste informatie over een beweging. Om de beweging in detail te bestuderen maak je een x(t)-grafiek en v(t)-grafiek. Uit de vorm van de grafieken kun je de kenmerken van de beweging afleiden:
• de bewegingszin: volgens of tegengesteld aan de gekozen positie-as (x-as)
• de (verandering van) snelheidsgrootte: rust, ERB, versnelling, vertraging
Je kunt elke beweging opsplitsen in deelbewegingen en elke deelbeweging apart bestuderen.
x(t)-GRAFIEK
VOORBEELD x(t )- EN v(t )-GRAFIEK ROCKY
Op afbeelding 82 op de vorige pagina zie je de baan van Rocky, maar daaruit kun je geen informatie afleiden over hoe Rocky tot dat punt gereden is en hoelang hij daar al stilstaat.
Op de x(t)-grafiek is de positie van Rocky weergegeven op elk tijdstip. Via de QR-code zie je hoe de verschillende posities van Rocky overeenstemmen met de punten op de x(t)-grafiek.
x(t)-grafiek Rocky
Grafiek 4
Met de x(t)-grafiek kun je het verloop van de beweging beschrijven. Je kunt de beweging van Rocky opsplitsen in twee deelbewegingen:
beweging naar rechts stilstand
• een beweging naar rechts (groen): de positie neemt toe, de x(t)-grafiek stijgt;
• stilstand (blauw): de positie verandert niet, de x(t)-grafiek is horizontaal.
Voor Rocky lees je de volgende informatie over de verplaatsing en het tijdsverloop af.
Beweging naar rechts Stilstand Totale beweging
∆x1 = 0,86 m – 0,00 m = 0,86 m ∆x2 = 0,86 m – 0,86 m = 0,00 m ∆xtotaal = 0,86 m – 0,00 m = 0,86 m
∆t1 = 2,15 s – 0,00 s = 2,15 s
∆t2 = 3,85 s – 2,15 s = 1,70 s
∆ttotaal = 3,85 s – 0,00 s = 3,85 s
Op grafiek 5 is de v(t)-grafiek van Rocky weergegeven.
(t)-grafiek Rocky
Op de v(t)-grafiek kun je informatie over de snelheid van beide deelbewegingen aflezen:
• beweging naar rechts (groen):
—De snelheid is positief. De grafiek ligt boven de t-as.
—De snelheidsgrootte neemt af. De grafiek daalt naar nul.
• stilstand (blauw):
—De snelheid is nul. De grafiek ligt op de t-as.
—De snelheidsgrootte is constant. De grafiek is horizontaal.
Voor de beweging van Rocky vind je de onderstaande resultaten.
Beweging naar rechts Stilstand Totale beweging
v1 = 0,86 m 2,15 s = 0,40 m s v2 = 0,0 m 1,70 s = 0 m s vtotaal = 0,86 m 3,85 s = 0,22 m s
Op een x(t)- en v(t)-grafiek kun je de verandering van beweging opdelen in deelbewegingen. Voor elke deelbeweging geldt:
• de verplaatsing: Δx = xeind – xbegin
• de tijdsverloop: Δt = teind – tbegin
De snelheid v kun je per deelbeweging berekenen als v = ∆x ∆t
` Maak oefening 6 op p. 189.
BEGRIPPEN
Een beweging heeft een constante snelheid als constant is. Een rechtlijnige beweging met een constante snelheid (verschillend van nul) noem je een :
• eenparig:
• rechtlijnige beweging: x(t)- EN v(t)-GRAFIEKEN
ERB in de zin van de x-as
ERB in tegengestelde zin van de x-as
1 Duid aan of de bewering juist of fout is. Is de bewering fout, geef dan een tegenvoorbeeld.
a Als de beweging rechtlijnig is, is de snelheidsvector constant.
juist fout
Tegenvoorbeeld:
b Als de grootte van de snelheid constant is, dan heeft de beweging een constante snelheidsvector.
juist fout
Tegenvoorbeeld:
c Als de snelheidsvector constant is, dan is de beweging rechtlijnig.
juist fout
Tegenvoorbeeld:
d Als de snelheidsvector constant is, dan heeft de beweging een constante snelheidsgrootte.
juist fout
Tegenvoorbeeld:
2 Bestudeer de onderstaande bewegingsgrafieken.
a Omcirkel de letters van de grafieken die een ERB voorstellen.
b De onderstaande beschrijvingen horen bij de grafieken. Noteer (indien mogelijk) de bijbehorende grafieken in de tabel.
Omschrijving x(t)-grafiek v(t)-grafiek
Finn zit op een bankje te wachten.
Chloé fietst aan een constante snelheid naar school.
Mo keert terug om zijn boekentas op te pikken.
3 Vul aan met ‘soms’, ‘altijd’ of ‘nooit’.
• De x(t)-grafiek van een ERB is een schuine rechte.
• De x(t)-grafiek van een ERB gaat door de oorsprong.
• De v(t)-grafiek van een ERB is een schuine rechte.
4 Vier personen steken een weg van 12 m over: een zakenman, een jogger die loopt, een kind dat snel wandelt en een vrouw die traag wandelt.
Op de v(t)-grafiek is het verloop van hun snelheid tijdens het oversteken weergegeven.
a Vul de legende bij de v(t)-grafiek aan met de personen.
b Zijn de volgende uitspraken juist of fout?
• De afgelegde weg is voor iedereen hetzelfde.
• De verplaatsing is voor iedereen hetzelfde.
• Het tijdsverloop is voor iedereen hetzelfde.
c Vul de legende aan bij de bijbehorende x(t)-grafieken.
5 Lees het onderstaande krantenartikel.
STEEKPROEF BEWIJST GEVAAR VAN GSM
ACHTER HET STUUR
In ons land sterven per jaar minstens dertig mensen in ongevallen veroorzaakt door iemand die aan het gsm’en was achter het stuur. En dat is nog een voorzichtige schatting. Agenten schrijven constant boetes uit, maar toch blijven duizenden bestuurders het dagelijks doen.
Bron: www.hln.be
Gegeven:
Gevraagd:
Oplossing:
6
Controle:
Bereken welke afstand je ‘blind’ aflegt, als je op de snelweg aan een snelheid van 120 km h rijdt en gedurende 2,0 s een berichtje stuurt.
Bestudeer de x(t)-grafiek van de Thalys naar Parijs met een tussenstop in Brussel-Zuid.
x (km)
x(t)-grafiek Thalys
08:3008:5009:1009:3009:50 10:10 10:3010:5011:10 t (h)
a Van Antwerpen-Centraal tot Brussel-Zuid voert de Thalys een ERB uit. Wat zijn de tijdsduur en de afstand tijdens dat traject?

b Welke snelheid heeft de trein in het tijdsinterval [8:30, 9:10]?
Gegeven:
Gevraagd: Oplossing:
Controle:
c Wat gebeurt er tussen 9:10 en 9:20?
d Bereken de afstand tussen Brussel-Zuid en Parijs.
e Toont de gegeven x(t)-grafiek een realistische voorstelling van de beweging van een trein?
` Verder oefenen? Ga naar .
(km)
Eigenschappen van een rechtlijnige beweging berekenen
snelheid : v =
• eenp arig: De snelheid is constant.
• r echtlijnige beweging: De beweging verloopt volgens één richting.
• x ( t )-grafiek = schuine rechte • v ( t )-grafiek = horizontale rechte
v traag bewegen volgens de x -as
v snel bewegen, tegengesteld aan de x -as
( t )-grafiek v ( t )-grafiek
(s)
versnelling
x = x eind –x begin
erplaatsing
eind
volgens de x -as bewegen
tegengesteld aan de x -as bewegen
begin
(m)
eind
begin
x = 0 heen en terug bewegen
( ) m s
JANOG OEFENEN
1 Begripskennis
• Ik kan een eenvoudige beweging voorstellen op een x(t)-grafiek.
• Ik kan een eenvoudige beweging die voorgesteld is op een x(t)-grafiek, in woorden omschrijven
• Ik kan het tijdsverloop en de verplaatsing aflezen op een x(t)-grafiek.
• Ik kan een eenvoudige beweging voorstellen op een v(t)-grafiek.
• Ik kan een eenvoudige beweging die voorgesteld is op een v(t)-grafiek, in woorden omschrijven.
• Ik kan het tijdsverloop aflezen op een v(t)-grafiek.
• Ik kan het onderscheid maken tussen eenvoudige bewegingen: rust, versnellen, vertragen, ERB.
2 Onderzoeksvaardigheden
• Ik kan waarnemingen en beschrijvingen verbinden met de wetenschappelijke voorstelling in grafieken.
• Ik kan grafieken nauwkeurig tekenen.
• Ik kan grafieken nauwkeurig aflezen
• Ik kan berekeningen uitvoeren met afgelezen waarden.
` Je kunt deze checklist ook op invullen bij je Portfolio.
Mijn notities
Kijk terug naar de CHECK IN. Gebruik je kennis om de antwoorden te vinden op de volgende vragen.
1 Welke beweging voert licht uit? Verklaar.
2 Teken en benoem de snelheidsvector op een lichtstraal.
3 Hoelang doet het licht over de reis van de zon tot de aarde? Zoek de nodige gegevens op het internet op.
Gegeven:
Gevraagd:
Oplossing:
Controle: Vergelijk je antwoord met je hypothese in de CHECK IN.

4 Maak een schets van een x(t)- en een v(t)-grafiek van het licht tussen de zon en de aarde.
Zonlicht plant zich voort op een rechte baan met een constante snelheidsgrootte. Licht voert een ERB uit.
De x(t)-grafiek is een stijgende rechte, de v(t)-grafiek een horizontale rechte.

Als je een brood bakt, is het rijzen van het deeg belangrijk om een luchtig brood te krijgen. Maar wat gebeurt er dan eigenlijk precies? We testen welke reactie/stof ervoor zorgt dat brood rijst.
WAT HEB JE NODIG?

balans – erlenmeyer – proefbuis – ballon – maatcilinder – één koffielepel bakpoeder – 10 mL azijn
HOE GA JE TE WERK?
1 Plaats de erlenmeyer, de proefbuis en de ballon (die je eerder al eens opblies) naast elkaar op de balans.
2 Breng de balans op nul door te tarreren
3 Breng een koffielepel bakpoeder in de erlenmeyer.
4 Breng met behulp van de maatcilinder 10 mL azijn in de proefbuis.
5 Plaats de proefbuis in de erlenmeyer.
6 Plaats de ballon zoals op afbeelding 84 op de erlenmeyer.
7 Weeg het geheel en noteer de totale massa voor de reactie in de tabel, in de kolom ‘Eigen meting’
WAT VERWACHT JE?
Schrap wat niet past.
Nadat de stoffen bij elkaar zijn gebracht, zal de gemeten massa lager / gelijk / hoger zijn.
WAT GEBEURT ER?
• Kantel de erlenmeyer, waardoor de azijn in contact komt met het bakpoeder. Je merkt dat er een chemische reactie optreedt. Weeg het geheel en noteer de totale massa na de reactie in de tabel.
• Bereken het verschil in massa voor en na de reactie.
• Verwijder de ballon en leg hem op de balans. Noteer de massa.
• Verzamel gegevens van twee andere klasgenoten in de derde en vierde kolom. Wat stel je vast?
Meting
massa voor de reactie (g)
massa na de reactie (g)
verschil in massa voor en na de reactie (g) massa na verwijderen ballon (g)
HOE ZIT DAT?
Eigen metingMeting klasgenoot 1Meting klasgenoot 2
Welk gas zorgt voor het rijzen van het brood? Misschien kan dit helpen: bakpoeder bevat een stof met formule
NaHCO3
Welke belangrijke wet geldt tijdens een chemische reactie en heb je nu bewezen tijdens deze proef?
` Wat gebeurt er tijdens een chemische reactie?
` Welke wetten zijn geldig tijdens een chemische reactie?
` Hoe kan een chemische reactie nuttig zijn voor ons? Wanneer vormt ze een probleem?
OPDRACHT 1
Wat weet je nog over energiebronnen uit de lessen natuurwetenschappen?
1 Welke energiebron herken je? Vul aan.
2 Komt de beschikbare energie rechtstreeks uit een chemische reactie? Kruis aan.





komt uit een chemische reactie.
komt niet uit een chemische reactie.
komt uit een chemische reactie.
komt niet uit een chemische reactie.
komt uit een chemische reactie.
komt niet uit een chemische reactie.
komt uit een chemische reactie.
komt niet uit een chemische reactie.
komt uit een chemische reactie.
komt niet uit een chemische reactie.
3 Bekijk de applet waarin de verschillende energiebronnen eenvoudig worden voorgesteld.
OPDRACHT 2
Bekijk de energieomzettingen op de afbeeldingen.
Duid aan welke energieomzetting er plaatsvindt bij de volgende afbeeldingen. Er zijn meerdere antwoorden mogelijk.
stralingsenergie

stralingsenergie chemische energie
chemische energie stralingsenergie
thermische energie chemische energie
stralingsenergie thermische energie
chemische energie elektrische energie
chemische energie kinetische energie
thermische energie chemische energie
chemische energie thermische energie
Stoffen bezitten chemische energie. Chemische energie kan omgezet worden in andere energievormen, en omgekeerd.
LEERDOELEN
Je kunt al:

L het verschil tussen een enkelvoudige en een samengestelde stof toelichten;
L een onderscheid maken tussen een index en een coëfficiënt.
Je leert nu:
L een chemische reactie duiden als een herschikking van atomen.
L de opbouw van een reactievergelijking begrijpen en de onderdelen aanduiden;
L een reactievergelijking in evenwicht brengen door rekening te houden met behoud van atomen.
Heb je met vrienden of familie al eens een kampvuur gemaakt? Misschien heb je tijdens een koude winteravond marshmallows gekaramelliseerd of chocolademelk verwarmd? Wist je toen dat je twee verschillende wetenschappen beoefende: chemie en fysica? Je hebt met andere woorden een chemisch of fysisch proces uitgevoerd.
We maken eerst het onderscheid tussen fysische en chemische processen.
• Bij fysische processen worden de gebruikte stoffen onveranderd teruggevonden na het proces.
• Bij chemische processen worden er nieuwe stoffen gevormd.
OPDRACHT 3
DEMO
IJzer en magnesium
Je leerkracht houdt achtereenvolgens een ijzeren spijker en een stukje magnesiumlint met behulp van een klem in de vlam van een bunsenbrander.
VEILIGHEIDSVOORSCHRIFT !
Kijk niet rechtstreeks in de vlam.
1 Wat neem je waar? Noteer in de tabel.
Waarneming

Soort proces?
ijzeren spijker chemisch proces fysisch proces
magnesiumlint chemisch proces fysisch proces
2 Is dit een chemisch of een fysisch proces? Kruis aan in de tabel.
In de demoproef maakte je het onderscheid tussen een fysisch proces en een chemisch proces:
• Voorbeeld fysisch proces: De spijker werd roodgloeiend maar koelde uiteindelijk weer af en bleef dezelfde spijker.
• Voorbeeld chemisch proces: Er werd een nieuwe stof gevormd (het witte poeder) én er kwam ook lichtenergie vrij.
Chemische reacties (of processen), en dus de vorming van nieuwe stoffen, kun je ook soms herkennen door veranderingen in smaak, geur of kleur. Maar het kan dus ook dat er een vaste stof gevormd wordt, of een gas, warmte of licht
VOORBEELDEN CHEMISCHE REACTIES
Er worden in de drie voorbeelden nieuwe stoffen gevormd.



De nieuwe stoffen zorgen voor geur-, kleur- en smaakveranderingen.
OPDRACHT 4
De nieuwe stoffen zorgen voor smaakveranderingen.
Er wordt ook een gas gevormd (het deeg rijst).
De nieuwe stoffen zorgen voor geur-, kleur- en smaakveranderingen.
Voer je bij de volgende acties een fysisch of chemisch proces uit? Vink aan.
Actie
Soort proces a hout in een kampvuur verbranden
chemisch proces fysisch proces b chocolademelk verwarmen
chemisch proces fysisch proces c marshmallows karamelliseren
chemisch proces fysisch proces d IJs smelt en vormt water.
WEETJE
chemisch proces fysisch proces
fysica
fysicochemie biofysica natuurwetenschappen biochemie
biologie chemie
Je leerde een chemisch proces duidelijk onderscheiden van een fysisch proces. Maar net als andere wetenschappen, hebben chemie en fysica ook verschillende raakvlakken.
Denk dus niet in vakjes, maar bundel de wetenschappen tot één geheel. Ook in de industrie werken verschillende wetenschappers samen. In het filmpje kun je zo’n samenwerking zien bij ExxonMobil.
• Tijdens een chemisch proces ontstaan nieuwe stoffen. De verandering die bij een chemisch proces plaatsvindt, noemen we een chemische reactie.
• Tijdens een fysisch proces worden geen nieuwe stoffen gevormd. De aanwezige stof verandert bv. van aggregatietoestand.
` Maak oefening 1 en 2 op p. 210.
enkelvoud: reagens meervoud: reagentia
OPDRACHT 5
Tijdens een chemische reactie worden de aanwezige atomen herschikt om zo nieuwe stoffen met nieuwe stofeigenschappen te vormen.
Een chemische reactie noteer je in een reactievergelijking: gebruikte stof(fen) → gevormde stof(fen)
De gebruikte stoffen of uitgangsstoffen noem je ook reagentia De gevormde stoffen krijgen de naam reactieproducten. gebruikte stof(fen) → gevormde stof(fen) reagentia reactieproducten
Let op:
Je mag als pijl niet ⇒ gebruiken. Gebruik ook niet het gelijkheidsteken (=), want de reactieproducten zijn andere stoffen dan de reagentia.
Bekijk de reactievergelijking die hoort bij opdracht 3 waarbij we magnesiumlint verbrand hebben. Een verbranding is een reactie met zuurstofgas (O2).
De reactievergelijking is dan als volgt:
2 Mg + O2 → 2 MgO
Magnesium (Mg) en zuurstofgas (O2) zijn de reagentia.
Duid in de volgende reactievergelijkingen de reagentia en de reactieproducten aan.
1 de verbranding van aardgas: CH4 + 2 O2 → CO2 + 2 H2O
2 de elektrolyse van water: 2 H2O → 2 H2 + O2
3 de reactie voor een stinkbom: FeS + 2 HCl → FeCl2 + H2S
Een chemische reactie stel je voor met een reactievergelijking. De reagentia worden omgezet in reactieproducten.
reagentia → reactieproducten
Het witte poeder dat gevormd werd, magnesiumoxide (MgO), is het reactieproduct.
3.1
- het getal 3: coëfficiënt of voorgetal - het getal 2: index
enkelvoud: index meervoud: indices
In deze applet leer je op een eenvoudige manier waarom je coëfficiënten plaatst in een reactievergelijking, bv. door het maken van een croque-monsieur.
In de vorige modules maakte je kennis met indices en coëfficiënten (of voorgetallen).
Je weet bijvoorbeeld wat de notatie 3 CO2 wil zeggen:
- 3 deeltjes CO2
- Elk deeltje CO2 bestaat uit één atoom koolstof (C) en twee atomen zuurstof (O).
- In totaal hebben we drie atomen koolstof en zes atomen zuurstof.
Het gebruik van indices en coëfficiënten zien we ook bij de notatie van een chemische reactie. Bekijk opnieuw de reactievergelijking voor de verbranding van magnesiumlint:
2 Mg + O2 → 2 MgO
Je weet al dat we de indices (index) van een stof niet mogen veranderen Zo is de molecule O2 (zuurstofgas) immers niet hetzelfde als de molecule O3 (ozon). Door het plaatsen van coëfficiënten voor de verschillende stoffen, valt echter iets op:
bij de reagentia (= voor de reactie) bij de reactieproducten (= na de reactie) aantal atomen
vaststelling
Het aantal atomen van elke atoomsoort is voor én na de reactie hetzelfde
Dat noemen we de wet van behoud van atomen Tijdens een chemische reactie worden de atomen die aanwezig zijn (in de reagentia) wel opnieuw gerangschikt (tot reactieproducten), maar er komen geen atomen bij en er gaan ook geen atomen verloren.
In onze chemische reactievergelijking bij de verbranding van magnesiumlint zorgen we daarvoor door de coëfficiënten aan te passen. De indices van de stoffen mag je immers niet aanpassen!
TIP
Enkele tips bij het balanceren van chemische reacties:
• Eindig indien mogelijk met het gelijkstellen van O- en H-atomen.
• Start met een element dat één keer links en één keer rechts voorkomt.
• Start met het element met de hoogste index.
• Coëfficiënt 1 wordt niet geschreven.
• Wijzig nooit de index in de formules.
• Controleer of de coëfficiënten de kleinst mogelijke getallen zijn.
OPDRACHT 6
Stel de reactievergelijking van de chemische reactie op.
Waterstofchloride (HCl) reageert met calciumhydroxide (Ca(OH)2), waarbij calciumchloride (CaCl2) en water (H2O) gevormd worden.
1 Welke stoffen zijn de reagentia?
2 Welke stoffen zijn de reactieproducten?
3 Noteer de stoffen in de reactievergelijking.
4 Vul het aantal atomen van elk element in, zowel bij de reagentia als bij de reactieproducten.
Bij de reagentiaBij de reactieproducten
Bij het plaatsen van coëfficiënten eindig je met het gelijkstellen van de O- en de H-atomen.
5 Je merkt dat het behoud van Ca in orde is. Plaats coëfficiënten zodat het behoud van Cl in orde is.
6 Vul het nieuwe aantal atomen van elk element in, zowel bij de reagentia als bij de reactieproducten.
Bij de reagentiaBij de reactieproducten
7 Plaats de coëfficiënten zodat het behoud van O in orde is.
OPDRACHT 6 (VERVOLG)
8 Vul het aantal atomen van elk element in, zowel bij de reagentia als bij de reactieproducten.
Bij de reagentiaBij de reactieproducten
9 Wat merk je bij de H-atomen?
10 Noteer de finale reactievergelijking.
OPDRACHT 7
Bekijk onderstaande reactievergelijkingen.
Noteer de juiste coëfficiënten zodat de vergelijkingen kloppen.
1 K + Br2 KBr
2 2 P + Cl2 PCl3
3 CO2 CO + O2
4 Fe + O2 Fe2O3
De wet van behoud van atomen
In een reactievergelijking zijn links en rechts van de reactiepijl evenveel atomen van elke soort aanwezig. Er worden geen nieuwe atomen gecreëerd, er gaan ook geen atomen verloren.
• Betekenis van de getallen in een reactievergelijking
Dit getal noem je de coëfficiënt. Het geeft aan hoeveel deeltjes er gaan reageren.
CO2
Dit getal noem je de index. Het geeft aan hoeveel atomen van de voorafgaande atoomsoort per molecule of formuleenheid aanwezig zijn.
• Om de wet van behoud van atomen in orde te brengen, moet je in een reactievergelijking de coëfficiënten aanpassen.
• De indices in een formule mag je niet veranderen.
` Maak oefening 3 t/m 10 op p. 211-213.
OPDRACHT 8
Je leerkracht voert de reactie tussen ijzer en zwavel uit.
7 g ijzer (Fe) en 4 g zwavel (S8) worden afgewogen.
1 Noteer de reactievergelijking en pas de wet van behoud van atomen toe.
VEILIGHEIDSVOORSCHRIFT !
2 Observeer de eigenschappen van de stoffen en breng een magneet bij elk van de stoffen. Noteer je waarnemingen.
Stof Eigenschappen
Magnetisch ijzer (Fe) ja nee zwavel (S8) ja nee
3 De stoffen worden samen in een kroesje gebracht en verwarmd met de bunsenbrander. Er ontstaat een nieuwe stof, ijzersulfide (FeS). Noteer je waarnemingen.
Stof Eigenschappen
Magnetisch reactieproduct (FeS) ja nee
4 Noteer je besluit.
5 Bepaal eens de massa van het reactieproduct. Wat stel je vast?
In opdracht 8 had je acht atomen ijzer en acht atomen zwavel (samen massa 11 g) en eindigde je ook met acht atomen ijzer en acht atomen zwavel (massa (FeS) = 11 g).
Atomen hebben een vaste atoommassa. Die kennis gecombineerd met de wet van behoud van atomen, leidt direct naar de wet van Lavoisier of de wet van het behoud van massa
De totale massa voor en na een chemische reactie is gelijk.
mreagentia = mreactieproducten
Let op:
Wanneer er bijvoorbeeld een gas wordt gevormd (en je geen afgesloten reactievat hebt), kan het gas ontsnappen. Het lijkt dan misschien alsof de massa kleiner wordt na de reactie, maar dat is gewoon omdat je op dat moment het gas niet meer aan het wegen bent.
De wet van Lavoisier
Deze wet volgt uit de wet van behoud van atomen: de totale massa voor en na een chemische reactie is gelijk.
mreagentia = mreactieproducten
` Maak oefening 11 en 12 op p. 213.
De wet van Lavoisier en de wet van behoud van atomen liggen aan de basis van het ontstaan van afval. We maken voortdurend nieuwe producten. Maar wanneer we die niet meer gebruiken en weggooien, kunnen de producten niet verdwijnen aangezien atomen niet kunnen verdwijnen. De totale massa blijft behouden.
Uit afval kunnen stoffen wel gerecycleerd worden: stoffen die we niet meer gebruiken, kunnen omgezet worden in nieuwe stoffen. Daarom is het belangrijk dat we zo veel mogelijk afval inzamelen en vervolgens op een verantwoorde manier verwerken.

HOOFDSTUKSYNTHESE
WAT IS EEN CHEMISCHE REACTIE?
Tijdens een chemische reactie worden de aanwezige atomen herschikt ter vorming van nieuwe stoffen.
Voor de reactie
HOE WORDT EEN CHEMISCHE REACTIE GENOTEERD?
De reactievergelijking
reagentia → reactieproducten
Bij samenvoegen Na de reactie
Behoud van atomen
• Per atoomsoort is het aantal atomen voor en na de reactie gelijk.
• Voor stoffen worden coëfficiënten geplaatst om het aantal atomen per soort gelijk te stellen.
Behoud van massa
• de wet van Lavoisier
• De totale massa voor en na een chemische reactie blijft gelijk:
mreagentia = mreactieproducten
Mijn notities
• Ik ken het verschil tussen een chemisch en een fysisch proces.
• Ik ken het begrip chemische energie.
• Ik kan een reactievergelijking opstellen
• Ik kan reagentia en reactieproducten toelichten.
• Ik kan de wet van behoud van atomen uitleggen en toepassen
• Ik kan de wet van behoud van massa uitleggen en toepassen.
` Je kunt deze checklist ook op invullen bij je Portfolio.
Zijn de verschijnselen fysisch of chemisch? Zet een kruisje in de juiste kolom.
Verschijnsel
ijzer laten roesten fruit laten rotten inkt verwijderen met een inktwisser potlood verwijderen met een gom ontkleuren met bleekwater linnen drogen groenten gaarkoken voedsel verteren boter smelten boter bruinen ijs smelten en water vormen een blok hout verbranden een trui laten verkleuren door langdurige blootstelling aan zonlicht ijzer smelten
Zijn de modelvoorstellingen voorbeelden van fysische of chemische processen? Leg uit.
Modelvoorstelling
Fysisch of chemisch proces
Lees de chemische reacties en beantwoord de vragen.
Het stappenplan kan je daarbij helpen.
1 IJzer reageert met zuurstofgas, waarbij di-ijzertrioxide (Fe2O3) gevormd wordt.
a Welke stoffen zijn de reagentia?
b Welke stoffen zijn de reactieproducten?
c Noteer de stoffen in de reactievergelijking.
d Pas de wet van behoud van atomen toe.
2 Magnesium reageert met waterstofchloride (HCl of zoutzuur), waarbij magnesiumchloride (MgCl2) en waterstofgas (H2) gevormd worden.
a Welke stoffen zijn de reagentia?
b Welke stoffen zijn de reactieproducten?
c Noteer de stoffen in de reactievergelijking.
d Pas de wet van behoud van atomen toe.
Schrijf de chemische reactie.
De vorming van waterstofchloride (HCl) uit diwaterstof en dichloor.
Schrijf de chemische reactie.
De chemische reactie tussen salpeterzuur (HNO3) en soda (NaOH), waarbij natriumnitraat (NaNO3) en water gevormd worden.
Schrijf de chemische reactie.
De ontleding van glucose (C6H12O6) in water en koolstof.
Waarom mag je de indexen bij de formules niet wijzigen?
Pas de chemische reacties aan indien nodig.
P2O5 + H2O H3PO4
HClO2 H2 + Cl2 + 2 O2
Welke wet pas je toe?
Hoe heten de getallen die je aanbrengt?
Vul de reactievergelijkingen aan.
Al + O2 → Al2O3
Al2O3 + Na → Na2O + Al
H2S + O2 → H2O + SO2
NH3 → N2 + H2
CO2 + H2O → C6H12O6 + O2
Fe + O2 → Fe2O3
PCl5 → P + Cl2
Hg + l2 → Hgl
SnS2 → Sn + S
Pb + O2 → PbO
HCl + O2 → Cl2 + H2O
C2H4 + O2 → CO2 + H2O
Na2O + H2O → NaOH
N2 + H2 → NH3
Al + PbO2 → Al2O3 + Pb
KClO3 → KCl + O2
NH3 + HCl → NH4Cl
NH3 + O2 + → NO + H2O
Fe + S → FeS
Cr2O3 + Zn → ZnO + Cr
C12H22O11 → C + H2 + O2
C12H22O11 + O2 → CO2 + H2O
Vul de reactievergelijkingen aan en beantwoord de vragen.
a Bij een onvolledige verbranding van aardgas (bv. bij een gaskachel in een badkamer) wordt het giftige koolstofmonoxide gevormd.
CH4 + O2 → CO + H2O
b Bakpoeder reageert met azijn.
NaHCO3 + CH3COOH → CH3COONa + CO2 + H2O
Hoe kun je visueel waarnemen dat het om een chemische reactie gaat?
c Met glucose kan drankalcohol (ethanol) gevormd worden. De zogenaamde ‘moonshiners’, mensen die illegaal alcohol stoken, maken gebruik van deze reactievergelijking.
C6H12O6 → C2H5OH + CO2
d In grotten worden langzaam druipstenen gevormd. Regenwater dat de grotten binnensijpelt, bevat het oplosbare Ca(HCO3)2. Door de lage concentratie aan CO2 in de grot treedt een reactie op. Naast CO2 en water wordt daarbij ook het onoplosbare CaCO3 gevormd, waaruit de druipstenen zijn opgebouwd.
Ca(HCO3)2 → CaCO3 + CO2 + H2O

Een reepje magnesiumlint wordt verbrand. Bij die reactie ontstaat een wit poeder: magnesiumioxide. De massa daarvan is groter dan die van het oorspronkelijke magnesium. Wil dat zeggen dat de wet van Lavoisier niet geldig is? Motiveer je antwoord.
Waarom is een proef waarbij een gas ontstaat minder geschikt om de wet van Lavoisier aan te tonen? Waar moet je op letten? Verklaar.
` Verder oefenen? Ga naar
Je kunt al:

L toelichten dat chemische energie tijdens een chemische reactie omgezet kan worden naar een andere energievorm.
Je leert nu:
L dat chemische reacties gebruikt kunnen worden als energiebron voor toepassingen in het dagelijks leven;
L het verschil duiden tussen exo- en endoenergetische reacties;
In deze module werd al verschillende keren verwezen naar de verbranding van magnesium. Het is je zeker opgevallen dat er een fel wit licht verschijnt tijdens de reactie.
Tijdens een chemische reactie kan dus een energievorm (in dit geval licht- of stralingsenergie) vrijkomen, maar waar komt die energie vandaan? Welke energievormen zijn er nog? Kan ook het omgekeerde gebeuren, met andere woorden kan er tijdens een chemische reactie energie opgenomen worden?
Energie kan niet ontstaan, noch gevormd worden. Dat is de wet van behoud van energie, waar je meer over zult leren in de lessen fysica. Die wet is ook van toepassing op een chemische reactie. Wanneer we ons huis verwarmen door een open haard aan te steken, hebben we geen warmte ‘gemaakt’ De energie is vrijgekomen vanuit de verbranding van het hout: hout is een energiebron. De energie die een chemische stof bevat, noemen we de chemische energie (of inwendige energie) (E).
Grootheid SymboolEenheid Symbool chemische energie E Joule J
OPDRACHT 9
Vul de tabel aan.
1 Noteer enkele voorbeelden van energievormen.
2 Noteer een proces uit het dagelijks leven waarbij die energie beschikbaar wordt.

Energievorm
Voorbeeld uit het dagelijks leven
Bij glowsticks of handwarmers worden stoffen gebruikt om een energievorm te verkrijgen, respectievelijk licht en warmte.
Tijdens een chemische reactie is er meestal sprake van een verschil in chemische energie in de stoffen voor en na de reactie.
• De reactieproducten bezitten minder chemische energie dan de reagentia. = er is energie vrijgekomen tijdens de chemische reactie.
= exo-energetische reactie
• De reactieproducten bezitten meer chemische energie dan de reagentia. = er is energie opgenomen tijdens de chemische reactie.
= endo-energetische reactie
Chemische stoffen bezitten een specifieke chemische energie-inhoud of inwendige energie (E)
Tijdens een chemische reactie geldt de wet van behoud van energie: energie gaat niet verloren of wordt niet bijgemaakt. Energie kan wel worden omgezet van de ene energievorm in de andere of overgedragen van het ene systeem naar het andere.
Tijdens een chemische reactie wordt dus meestal energie afgegeven (exo-energetische reactie) of opgenomen (endo-energetische reactie).


Let op! Kijk goed naar de grootheden op de assen. Op de x-as staat het tijdsverloop (t) van de reactie. Op de y-as staat de hoeveelheid energie van de stoffen (E).
Valt het je op dat er altijd geredeneerd wordt vanuit de stoffen? De term ‘exo’ is afgeleid van het Latijn en betekent ‘uit’. Tijdens een exoenergetische reactie zal dus energie uit de stoffen komen. Kijk je naar de omgeving, dan zal de energie toenemen: bv. de omgevingstemperatuur stijgt.
Soms is iets zo vanzelfsprekend dat je er niet bij stilstaat: chemische reacties kunnen ons energie leveren.
Enkele voorbeelden:
• Tijdens een labo gebruik je een bunsenbrander om een proef uit te voeren (aardgas verbranden).
• Voor vuurwerk wordt gebruikgemaakt van verschillende metalen, zoals aluminium, natrium, magnesium en koper. Die zorgen voor het licht- en knaleffect.
Tijdens die chemische reacties komt er energie vrij: we spreken van een exo-energetische reactie. Uit de wet van behoud van energie kun je dan concluderen dat de reagentia meer chemische energie hebben dan de reactieproducten (de reactie levert energie).
De reactie-energie (∆E) wordt gedefinieerd als het verschil tussen de chemische energie-inhoud van de reactieproducten (EP) en de chemische energie-inhoud van de reagentia (ER):
∆E = EP – ER
Een exo-energetische reactie wordt bijgevolg gekenmerkt door een negatieve reactie-energie: er komt energie vrij tijdens de reactie.
exo-energetische reactie: ∆E < 0
Een exo-energetische chemische reactie kan worden weergegeven in een energiediagram.
energie
Grafiek 8
Energiediagram van een exo-energetische reactie
Wanneer warmte vrijkomt, spreekt een chemicus van een exotherme reactie Een bekende toepassing daarvan is de hotpack. Door het activeren van de hotpack start een exotherme reactie: de omgevingstemperatuur stijgt.
OPDRACHT 10
Je leerkracht voert enkele exo-energetische reacties uit.
1 Hij/zij voert de proeven uit.
2 Noteer je waarneming in de tabel.
Soms is een exo-energetische reactie net iets wat je níet wilt meemaken, ze worden namelijk ook weleens gebruikt in een foute context. Denk maar aan de grote hoeveelheid energie die vrijkomt bij de explosie van buskruit. Tijdens die reactie komt er niet alleen warmte vrij, maar ook kinetische energie die grote schade kan aanbrengen. DEMO
Proef 1
• Voeg bijtende soda-oplossing (NaOH) toe aan de zoutzuuroplossing (HCl).
• Voel tijdens de hele proef aan de proefbuis.
Waarneming:
VEILIGHEIDSVOORSCHRIFT ! HCl + NaOH
Proef 2
• Vul een proefbuis voor 1/3 met zoutzuur (HCl).
• Rol het lintje Mg op en breng het in de oplossing.
• Voel tijdens de hele proef aan de proefbuis.
Waarneming:
In een bedrijf ontstaan soms explosies omdat bepaalde stoffen niet (meer) goed gestockeerd worden. Twee bekende voorbeelden zijn de vuurwerkramp in Enschede in 2000 en de ontploffing van ammoniumnitraat in Beiroet in 2020. Wil je de indrukwekkende beelden van de explosie in Beiroet zien? Scan dan de QR-code.

Een exo-energetische reactie is een chemische reactie waarbij een vorm van energie vrijkomt
• Een reactie waarbij warmte vrijkomt, is een exotherme reactie.
• Een exo-energetische reactie kan voor grote schade zorgen bij verkeerd gebruik.
Grafiek 9 Energiediagram exotherme reactie
We weten nu dat sommige chemische reacties energie leveren: ze zijn exo-energetisch. Wanneer we die reacties omdraaien, zal er energie nodig zijn om de reactie uit te voeren. Tijdens zo’n reacties wordt er dus energie opgenomen: het zijn endo-energetische reacties Uit de wet van behoud van energie kun je concluderen dat de reagentia minder chemische energie hebben dan de reactieproducten (ER< EP).
OPDRACHT 11
Bekijk de chemische reactie en los de vragen op.
6 CO2 + 6 H2O → C6H12O6 + 6 O2
1 Welk biologisch proces wordt hier weergegeven?
2 Welke energievorm wordt er gebruikt tijdens de reactie?
3 Kruis de juiste uitspraak aan.
Dit is een exo-energetische reactie.
Dit is een endo-energetische reactie.
Een endo-energetische reactie wordt gekenmerkt door een positieve reactie-energie: er wordt energie toegevoegd tijdens de reactie.
Endo-energetische reactie: ∆E = EP - ER > 0
Een endo-energetische chemische reactie kan worden weergegeven in een energiediagram reactieenergie t (s)
Grafiek 10
Energiediagram van een endo-energetische reactie
OPDRACHT 12
Je leerkracht voert een endo-energetische reactie uit.
1 Je leerkracht voert de proef uit.
2 Noteer je waarneming in de tabel. Gebruik een thermometer.
Proef
• Meng enkele citroenzuurkristallen met een beetje bakpoeder in een proefbuis.
• Voeg eventueel een beetje water toe.
• Monitor de temperatuursverandering tijdens de hele proef.
Waarneming:
In opdracht 12 daalt de omgevingstemperatuur. De reactie heeft energie nodig om te kunnen plaatsvinden: ze neemt warmte op uit de omgeving. We spreken dan van een endotherme reactie. Een bekende toepassing is het coldpack.

Bij sporters wordt vaak een zakje ijs gebruikt om bij een kwetsuur de zwelling tegen te gaan. Zulke zakjes sluiten echter niet goed af rond de kwetsuur en werken minder efficiënt. Daarom werden coldpacks ontwikkeld. De meeste bevatten een gel die niet bevriest in een diepvries. Zogenaamde instant coldpacks bestaan intern uit twee zakjes; in het ene zit water, in het andere ammoniumnitraat (NH4NO3). Wanneer de stoffen bij elkaar komen, treedt er een endotherme reactie op waardoor de omgeving, in dit geval dus het gebied rond de kwetsuur, kouder wordt.
Net als bij een exo-energetische reactie kunnen bij een endo-energetische reactie niet alleen warmte-energie maar ook andere energievormen opgenomen worden. Bij bijvoorbeeld een fotolyse start lichtenergie een reactie op.
Sommige reacties hebben geen zichtbaar licht nodig, maar maken gebruik van uv-straling. Een bekende toepassing heb je misschien al ervaren bij de tandarts. De uv-lamp die op een pas behandelde tand wordt geplaatst, zorgt ervoor dat de vulling uithardt. Dit is een endo-energetische reactie.


Naast licht- en warmte-energie kunnen ook andere energievormen een chemische reactie doen ontstaan. Zo kan elektrische energie gebruikt worden om water te splitsen in waterstofgas en zuurstofgas.
Het spontaan initiëren van een reactie door de opname van energie is niet altijd gewenst
Lichtenergie kan reacties opstarten die nadelig zijn.
Voorbeelden:
• Stoffen worden vaak bewaard in een bruine fles om te voorkomen dat licht de chemische stof aantast. Wijn wordt bijvoorbeeld bewaard in een gekleurde fles omdat blootstelling aan zonlicht de wijn een azijnsmaak geeft.
• Krantenpapier wordt geel als het te lang in de zon ligt.
• Lange blootstelling aan licht kan ervoor zorgen dat de lange moleculen in kunststoffen worden gebroken in steeds kleinere moleculen. In de volksmond zegt men dat de kunststoffen ‘verduren’, een fenomeen dat vaak voorkomt bij oude pvc-dakgoten.
Een endo-energetische reactie is een chemische reactie waarbij een vorm van energie wordt opgenomen
Energiediagram endotherme reactie reactieenergie t (s)
11
• Een reactie waarbij warmte wordt opgenomen, is een endotherme reactie.
• Een endo-energetische reactie kan voor grote schade zorgen bij verkeerd gebruik.
` Maak oefening 1 t/m 5 op p. 223-224.
Bekijk de ontdekplaat bij het onlinelesmateriaal en ontdek verschillende reacties in het dagelijkse leven.
WELK NUT HEBBEN CHEMISCHE REACTIES ALS ENERGIEBRON?
• Stoffen bevatten een specifieke hoeveelheid energie: de chemische of inwendige energie (E)
• Chemische reacties kunnen nuttig zijn als energiebron in het dagelijks leven (bv. warmte, elektriciteit), maar kunnen ook nadelig zijn (bv. verduren van materialen).
• Er bestaan exo- en endo-energetische reacties
• Wanneer er specifiek warmte wordt opgenomen of afgegeven, spreken we respectievelijk van endotherme en exotherme reacties.
Exo-energetische reactie
Een chemische reactie waarbij energie vrijkomt tijdens de reactie.
De reagentia hebben meer chemische energie dan de reactieproducten.
(J)
Voorbeeld: verbranden van magnesium
Endo-energetische reactie
Een chemische reactie waarbij energie opgenomen wordt tijdens de reactie.
De reagentia hebben minder chemische energie dan de reactieproducten.
Voorbeeld: elektrolyse van water
Mijn notities
JANOG OEFENEN
1 Begripskennis
• Ik ken het verschil tussen exo- en endo-energetische reacties.
• Ik ken de termen endotherm en exotherm.
2 Onderzoeksvaardigheden
• Ik kan een exo- en endo-energetische reactie grafisch weergeven.
• Ik kan een exo- en endo-energetische reactie herkennen en er voorbeelden van geven.
` Je kunt deze checklist ook op invullen bij je Portfolio.
Mijn notities
Vul bij elk verschijnsel het bijbehorende begrip in. Opgelet: een van de gegeven begrippen is niet van toepassing. Je mag elk begrip slechts één keer gebruiken.
endo-energetisch – endotherm – exo-energetisch – exotherm – fysische reactie
a een vijver die bevriest
b Mg + 2 HCl MgCl2 + H2 + warmte
c het opnemen van warmte tijdens een reactie
d een Mg-lint verbranden (het vrijkomen van licht)
Vul de reactievergelijkingen aan en beantwoord de vraag. Waterstofgas wordt gebruikt in brandstofcellen.
H2 + O2 → H2O
Is dit een endo-energetische of een exo-energetische reactie? Verklaar.

Vervolledig de reactievergelijkingen en beantwoord de vragen.
a Planten voeren een fotosynthesereactie uit.
+ → C6H12O6 + O2
Is dit een endo-energetisch of een exo-energetisch proces? Verklaar.
Welke energie-omzettingen vinden hierbij plaats?
Welke energie-omzettingen vinden hierbij plaats? 1 2 3
b Methaangas (CH4) wordt gebruikt om woningen te verwarmen.
CH4 + O2 → CO2 + H2O
Is dit een endo-energetisch of een exo-energetisch proces? Verklaar.
Beoordeel de stellingen. Duid aan met juist (J) of fout (F).
Juist of fout? Stelling
Tijdens een chemische reactie worden nieuwe stoffen gevormd.
Verbetering:
Tijdens een exo-energetische reactie hebben de stoffen na de reactie de grootste energie-inhoud.
Verbetering:
Als je een endotherme reactie uitvoert in een waterbad dan zal de temperatuur van het water rond de reactiebeker stijgen.
Verbetering:
De stoffen verliezen energie tijdens een exotherme reactie.
Verbetering:
5
Wat hoort er bij elkaar? Noteer het juiste getal in de tweede tabel.
1fotosynthese
2smelten
3 De reactieproducten bevatten meer energie dan de reagentia.
4De stoffen verliezen energie.
5glimwormen
` Verder oefenen? Ga naar .
chemische energie naar lichtenergie exo-energetische reactie endo-energetische reactie lichtenergie naar chemische energie fysische reactie
CO2-vorming zorgt voor het rijzen van brood, maar er gebeurt zoveel meer. Bekijk de video en beantwoord de vragen.
1 Vul de tabel aan.
Temperatuur
Wat gebeurt er?
Proces
33 °C fysisch proces chemisch proces
62 °C fysisch proces chemisch proces
100 °C fysisch proces chemisch proces
154 °C fysisch proces chemisch proces
2 Wat is de formule en de naam van het rijsmiddel in bakpoeder?
3 Tijdens de Maillard-reacties ontstaan nieuwe biomoleculen.
a Waarvoor zorgen die nieuwe chemische stoffen?
b Kruis aan.
Dit is een exo-energetische reactie.
Dit is een endo-energetische reactie.

c Op welke temperatuur moet je de oven instellen om dit proces te laten plaatsvinden?
Bij het bakken van koekjes ontstaan tijdens de chemische reacties nieuwe stoffen zoals CO2 (door herschikking van de atomen). CO2 zorgt voor het rijzen van het deeg. Er zijn tijdens het bakken geen nieuwe atomen gecreëerd: dat is de wet van behoud van atomen
Tijdens een chemische reactie geldt ook de wet van behoud van massa. Omdat er gassen gevormd worden tijdens het bakken van koekjes, zal er massa verloren gaan. De koekjes wegen minder.
Tijdens het bakken zullen eiwitten veranderen van structuur of omgezet worden. Die nieuwe stoffen zorgen voor de specifieke smaken. Wanneer de koekjes te lang gebakken worden, zullen de eiwitten stukgaan en de koekjes verbranden.
En nu maar echt koekjes bakken!

Bekijk de krantenkop en de video.
1 Wat betekent ‘lanceren’?
LANCERING
SPACEX-RAKET
2 Wat is er nodig om de raket te lanceren?
3 Op welke baan beweegt het ruimtestation ISS?
SPACEX-RAKET MET SUCCES GELANCEERD NAAR ISS
Het Amerikaanse ruimtevaartagentschap NASA en SpaceX, het bedrijf van Elon Musk, hebben deze nacht vier astronauten naar het internationale ruimtestation ISS gelanceerd. De lancering vond plaats om 01.27 u. (Belgische tijd) vanaf de Amerikaanse ruimtebasis Cape Canaveral.
Bron: www.hln.be

4 Hoe kan het ISS zo blijven bewegen volgens jou?
Door de zwaartekracht.
Door de motorkracht.
Door de zwaartekracht en de motorkracht.
Er werkt geen kracht op het ISS.
5 De astronauten zijn gewichtloos in het ISS. Kun je hier op aarde ook gewichtloos worden? Zo ja, hoe?

` Welke krachten laten een ruimtetuig bewegen?
` Hoe kun je een ruimtetuig laten versnellen, laten vertragen of in een cirkelbaan laten bewegen?
` En waarom zijn astronauten gewichtloos?
We zoeken het uit!
OPDRACHT 1
Welke soorten krachten zijn er?
1 Bestudeer de foto’s.
Je kunt al vooruitblikken naar het kenniskader op p. 230 als je de begrippen niet meer goed kent! TIP
2 Vul de omschrijvingen aan onder de foto’s. Vul op de invullijnen de voorwerpen in en duid de juiste begrippen aan.

1 2

• Er wordt een kracht uitgeoefend door op
• Er is wel / geen contact nodig.
• De elektrostatische kracht is een veldkracht / contactkracht
3 Geef een ander voorbeeld van een …
• contactkracht:
• veldkracht:

• Er wordt een kracht uitgeoefend door op
• Er is wel / geen contact nodig.
• De spierkracht is een veldkracht / contactkracht
3

• Er wordt een kracht uitgeoefend door op
• Er is wel / geen contact nodig.
• De magnetische kracht is een veldkracht / contactkracht
OPDRACHT 2
Wat is het effect van een kracht?
1 Bestudeer de foto’s van drie sportievelingen.
2 Vul de tabel aan. 1 2 3



Hoe zie je dat er een kracht wordt uitgeoefend?
verandering van bewegingstoestand
vervorming
dynamisch effect
statisch effect
Welk effect heeft de kracht?
verandering van bewegingstoestand
vervorming
dynamisch effect statisch effect
verandering van bewegingstoestand
vervorming
dynamisch effect statisch effect
OPDRACHT 3
Wat is de grootheid kracht?
Om de knijpkracht van een patiënt te bepalen, gebruikt een kinesist een krachtmeter.
1 Welke andere benaming heeft een krachtmeter?
2 Welke eenheid kun je aflezen op een krachtmeter?
3 Vul de tabel voor de grootheid kracht aan.
Grootheid met symbool

SI-eenheid met symbool
OPDRACHT 4
Hoe stel je de kracht voor als een vector?
Bestudeer de krachttrainingen.
1 Teken en benoem de spierkracht van Yena en Margot.
2 Noteer de kenmerken van de kracht onder de foto.


Margot trekt aan het touw met een kracht van 500 N.
Aangrijpingspunt
Richting
Zin
Grootte
Een kracht heeft twee soorten effecten:
• dynamisch effect: een verandering van bewegingstoestand,
• statisch effect: een verandering van vorm.
We kunnen een onderscheid maken tussen:
• een veldkracht: een kracht die op afstand werkt zonder rechtstreeks contact;
=
• een contactkracht: een kracht die enkel werkt als er contact is tussen twee voorwerpen.
Kracht is een vectoriële grootheid met als symbool F. De grootte van een kracht meet je met een dynamometer of een krachtsensor. De eenheid van kracht is de newton (N). zin grootte richting aangrijpingspunt F
LEERDOELEN
Je kunt al:
L de grootheid kracht voorstellen als een vector;
L het effect van krachten omschrijven.
Je leert nu:
L de vier kenmerken van de zwaartekrachtvector bepalen en weergeven;
L de werking van de zwaartekracht op en rond hemellichamen kennen;
L een kracht meten door gebruik te maken van een dynamometer;
L het verband tussen de grootheden massa, zwaartekracht en gewicht omschrijven.

In de sport draait het vaak om kracht. Een gewichtheffer moet spierkracht gebruiken om halters omhoog te heffen. Hij of zij moet de kracht die wordt uitgeoefend door de aarde, overwinnen.
In dit hoofdstuk bestudeer je hoe je de zwaartekracht die inwerkt op voorwerpen, kunt berekenen en voorstellen. Je gaat op zoek naar de betekenis van ‘gewicht’ en bestudeert gewichtloosheid op verschillende hemellichamen.
1 Welke kenmerken heeft de zwaartekracht?
OPDRACHT 5
Bestudeer de zwaartekracht en haar effecten.
1 Hoe zie je dat de zwaartekracht inwerkt? Noteer.
2 Welk effect heeft de zwaartekracht? Duid aan.
3 Is er contact tussen de aarde en de sporter? Duid aan.



2 statisch effect
dynamisch effect
3 geen contact
contact met de aarde
statisch effect
dynamisch effect
geen contact
contact met de aarde
statisch effect
dynamisch effect
geen contact
contact met de aarde
1.2 Zwaartekrachtvector
OPDRACHT 6
De aarde oefent een kracht uit op alle voorwerpen in haar buurt, ook zonder contact tussen de aarde en het voorwerp zelf. De zwaartekracht is een veldkracht die op alle voorwerpen in het zwaarteveld werkt.
De zwaartekracht is de aantrekkingskracht waarmee de aarde voorwerpen in haar omgeving aantrekt. De zwaartekracht kan twee effecten veroorzaken:
• statisch effect: het voorwerp vervormt;
• dynamisch effect: het voorwerp verandert van bewegingstoestand.
Tijdens het gewichtheffen ervaren Kiran en Saar de zwaartekracht:
• Ze worden naar beneden getrokken en staan recht op de fitnessmat. Er is contact tussen hen en de grond. De mat vervormt. Er is een statisch effect van de zwaartekracht.
• Ze gebruiken hun armspieren om de zwaartekracht te overwinnen en de halters omhoog te duwen. Er is geen contact tussen de halters en de aarde, maar toch voelen ze de zwaartekracht, die de halters naar de aarde trekt. Hun handen vervormen (= statisch effect), en als ze de halters lossen, vallen die op de grond (= dynamisch effect).
• De zwaartekracht is de kracht waarmee de aarde (en andere hemellichamen) voorwerpen in haar zwaarteveld aantrekt
• De zwaartekracht kan op een voorwerp zowel een statisch effect (vervorming van een voorwerp) als een dynamisch effect (verandering van bewegingstoestand) hebben.
Onderzoek de kenmerken van de zwaartekrachtvector.
Otis (27 jaar) en Liam (8 jaar) hangen aan de rekstok.
1 Vul het kenmerk van de vector aan in de tabel.
2 Teken en benoem de zwaartekrachtvector op beide sporters.
Kenmerk vector
1
Omschrijving
Elk deeltje van Otis en Liam, van hun armen tot hun kleine teen, wordt aangetrokken door de aarde. De totale aantrekking stel je voor in het zwaartepunt (Z).
2 Als Otis en Liam stil hangen, heeft hun lichaam een richting loodrecht ten opzichte van het wateroppervlak. Het is verticaal gespannen.
3 Otis en Liam vallen naar beneden, naar het middelpunt van de aarde.
4 De aantrekkingskracht op Otis is groter dan die op Liam.
Een kracht is een vectoriële grootheid die wordt voorgesteld door het symbool F. Om duidelijk te maken dat het om de zwaartekracht gaat, voeg je de letter z toe: F z
VOORBEELD ZWAARTEKRACHTVECTOREN
Op de halters van Kiran en Saar én op de lichamen van Kiran en Saar zelf werkt de zwaartekracht Fz met deze kenmerken:
Aangrijpingspunt zwaartepunt (Z) van de halters zwaartepunt (Z) van de sporters
Richting verticaal verticaal
Zin naar het middelpunt van de aarde naar het middelpunt van de aarde
Grootte Fz, halter S < Fz, halter K Fz, Saar < Fz, Kiran
Je kent het zwaartepunt van regelmatige figuren uit de wiskunde.
• driehoek: snijpunt van de zwaartelijnen
• vierhoek: snijpunten van de diagonalen
Bij de mens ligt het zwaartepunt ter hoogte van de navel.
De zwaartekracht is een vectoriële grootheid:
• aangrijpingspunt: het zwaartepunt (Z) van het voorwerp,
• richting: verticaal (loodrecht op het wateroppervlak),
• zin: naar het middelpunt van de aarde (of ander hemellichaam),
• grootte: Fz, afhankelijk van het voorwerp.
` Maak oefening 1 op p. 241.
OPDRACHT 7 ONDERZOEK
Onderzoek de grootte van de zwaartekracht aan de hand van het labo bij het onlinelesmateriaal.
F z (N) Fz(m )-grafiek
Grafiek 12
z(m)-grafiek
Hemellichaam g ( N kg )
Mercurius3,78
Venus8,87
aarde 9,81
Mars3,71
Jupiter24,8
Saturnus 10,4
Uranus8,87
Neptunus 11,0 maan 1,62
Tabel 1
De Fz(m)-grafiek is een halfrechte door de oorsprong. De grootte F z van de zwaartekracht op een voorwerp is recht evenredig met de massa m van dat voorwerp:
FZ m = g dus FZ = m · g
Met andere woorden: hoe groter de massa, hoe groter de zwaartekracht.
De evenredigheidsconstante g noem je de zwaarteveldsterkte.
De gemiddelde waarde van die constante op aarde is: g = 9,81 N kg
Op andere planeten is die aantrekkingskracht groter of kleiner en zal de waarde van g ook groter of kleiner zijn.
We bekijken opnieuw de fitnessoefening van Kiran en Saar. De halter van Saar heeft een massa van 2,0 kg. Je berekent de zwaartekracht op de halter als:
Fz, halter S = m · g = 2,0 kg · 9,81 N kg = 20 N
Uit afbeelding 96 op p. 233 blijkt dat de grootte van de zwaartekracht uitgeoefend op de halter van Kiran groter is dan die uitgeoefend op de halter van Saar. Daaruit leid je af dat de halter van Kiran een grotere massa heeft.
De grootte van de zwaartekracht op een voorwerp met massa m en zwaarteveldsterkte g bereken je als volgt:
F z = m · g
De zwaarteveldsterkte in onze streken is g = 9,81 N kg .
De zwaarteveldsterkte is een maat voor de sterkte van de aantrekkingskracht van een hemellichaam.
Grootheid met symbool SI-eenheid met symbool zwaarteveldsterkte g newton per kilogram
` Maak oefening 2 t/m 4 op p. 241-242. N kg
OPDRACHT 8
Los het vraagstuk op.
1 Bereken de grootte van de aantrekkingskracht die de aarde uitoefent op Jimmy, die een massa van 58,0 kg heeft. Werk het vraagstuk uit op een cursusblad.
2 Teken en benoem het zwaartepunt en de zwaartekrachtvector op afbeelding 97 (schaal: 1 cm 200 N).
3 Controleer je antwoord.
2 Wat is het verband tussen massa, gewicht en zwaartekracht?
1 g = 0,001 kg = 1 · 10–3 kg
1 ton = 1 · 103 kg
In het dagelijks leven gebruiken we de begrippen massa en gewicht door elkaar. In de fysica zijn dat twee verschillende grootheden
De massa van een voorwerp is de hoeveelheid materie waaruit dat voorwerp bestaat. De grootheid massa stel je voor met het symbool m. De SI-eenheid van massa is 1 kg (kilogram). Voor kleine en grote massa’s gebruik je afgeleide eenheden, zoals gram en ton.
Aangezien massa enkel een grootte heeft, is het een scalaire grootheid Een scalaire grootheid heeft, in tegenstelling tot een vectoriële grootheid, geen richting, zin of aangrijpingspunt. De massa van een voorwerp bepaal je aan de hand van een balans
Kiran en Saar heffen elk een verschillende massa. Kiran heeft een halter met een massa van 3 kg, Saar een halter met een massa van 2 kg.
De massa van een voorwerp is de hoeveelheid materie waaruit dat voorwerp is opgebouwd.
Grootheid met symbool SI-eenheid met symbool massa m kilogram kg
OPDRACHT 9
Zoek het gewicht.
1 Leg een pennenzak op je hand.
2 Welke kracht werkt er op de pennenzak?
3 Waar ervaar je de kracht?
4 Hoe groot is de kracht die je voelt?
Kleiner dan/groter dan/gelijk aan de zwaartekracht

5 Teken en benoem zowel de zwaartekracht op de pennenzak als de kracht waarmee er op de hand gesteund wordt.
TIP
We definiëren hier de gewichtskracht. Dat is de kracht die ontstaat ten gevolge van de zwaartekracht voor een voorwerp dat op een horizontaal oppervlak staat of opgehangen is, waar geen andere krachten op inwerken. In de derde graad bestudeer je de gewichtskracht in andere situaties.
Elk voorwerp ondervindt een zwaartekracht, die aangrijpt in het zwaartepunt van het voorwerp. Als het voorwerp ondersteund wordt, ontstaat daardoor een kracht op de ondersteuning. Die kracht noem je de gewichtskracht of kortweg het gewicht. Het gewicht is net als de zwaartekracht een vector, voorgesteld door F g
Kenmerk vector Zwaartekracht F z Gewicht Fg aangrijpingspunt zwaartepunt Z steunpunt S richting verticaal verticaal zin naar het middelpunt van de aarde naar het middelpunt van de aarde grootte F z = m · g F g = m · g
VOORBEELD ZWAARTEKRACHT EN GEWICHT
Een halter van Saar heeft een massa m = 2,0 kg. In de buurt van de aarde werkt er altijd een zwaartekracht Fz, halter S verticaal naar het middelpunt van de aarde met als grootte:
Fz, halter S = m · g = 2,0 kg · 9,81 N kg = 20 N Die kracht grijpt aan in het zwaartepunt.
Als Saar de halter vasthoudt, voelt ze de inwerking van de zwaartekracht in haar hand. Het gewicht F g, halter S van het voorwerp veroorzaakt een vervorming (statisch effect) in het steunpunt. Het gewicht werkt verticaal naar het midden van de aarde en heeft dezelfde grootte als de zwaartekracht:
Fg, halter S = Fz, halter S = m g = 2,0 kg 9,81 N kg = 20 N
VOORBEELD ZWAARTEKRACHT EN GEWICHT (VERVOLG)
Ook op Saar zelf werkt de zwaartekracht Fz, Saar in.
Saar staat op de grond en verdeelt haar gewicht over haar beide benen:
Fg, links + Fg, rechts = F g totaal
Het gewicht heeft dezelfde grootte als de zwaartekracht:
Fz, Saar = Fg, totaal
OPDRACHT 10
Bestudeer de massa, het gewicht en de zwaartekracht van de snowboarder.
Seppe Smits (m = 83,0 kg), Belgisch kampioen snowboarden, maakt een sprong.
1 Bekijk zijn sprong in de video.
2 Vul de tabel aan.


3 Teken en benoem de zwaartekrachtvector en het gewicht.
4 Omschrijf in je eigen woorden wat gewichtloosheid is.
Als een voorwerp niet ondersteund wordt, oefent het geen kracht uit op de ondersteuning. Het heeft geen gewicht. Het is gewichtloos. De massa en de zwaartekracht veranderen niet.
Saar schrikt en laat de halter vallen. Op afbeelding 101 zie je de zwaartekracht F z en het gewicht F g net voor, tijdens en na de val.
Voor het vallenTijdens het vallenNa het vallen
m = 2,0 kg
F z = m · g
= 2,0 kg · 9,81 N kg
= 20 N
F g = m · g
= 2,0 kg · 9,81 N kg
= 20 N
m = 2,0 kg
F z = m · g
= 2,0 kg · 9,81 N kg
= 20 N
F g = 0 N
m = 2,0 kg
F z = m · g
= 2,0 kg · 9,81 N kg
= 20 N
F g = m · g
= 2,0 kg · 9,81 N kg
= 20 N
Het gewicht Fg van een voorwerp is de kracht van dat voorwerp op zijn ondersteuning.
Gewicht is een vectoriële grootheid met de kenmerken (voor een voorwerp dat ophangt of horizontaal staat):
• aangrijpingspunt: op de ondersteuning, in het steunpunt,
• richting: verticaal,
• zin: naar het middelpunt van de aarde,
• grootte: Fg = m · g
Als een voorwerp niet ondersteund wordt, oefent het geen kracht uit op de ondersteuning. Het heeft geen gewicht. Het is gewichtloos
` Maak oefening 5 op p. 242-243.
1 massa ( m ) = de hoe veelheid materie waaruit een voorwerp is opgebouwd
Grootheid met symboolSI-eenheid met symbool
2 zwaarteveldsterkte ( g ) = een ma at voor de sterkte van de aantrekkingskracht van een hemellichaam
Grootheid met symboolSI-eenheid met symbool
In België is g = .
Hemellichaam g ( N kg )
Neptunus 11,0 maan 1,62 Z F
Mercurius3,78 Venus8,87 aarde 9,81
Mars3,71
Jupiter24,8
Saturnus 10,4
Uranus8,87
zwaartekrachtvector F z
• a angrijpingspunt :
• richting :
• zin : • gr ootte : teken de zwaartekrachtvector
INVLOEDSFACTOREN
zwaartekracht = de aantrekkingskracht v an een hemellichaam op alle voorwerpen in het zwaarteveld gewicht = de kr acht van een voorwerp op zijn ondersteuning Als een voorwerp niet ondersteund wordt, oefent het geen kracht uit op de ondersteuning. Het heeft geen gewicht. Het is .
KENMERKEN
gewichtsvector F g
KENMERKEN
• a angrijpingspunt :
• richting :
• zin : • gr ootte : teken de gewichtsvector
1 Begripskennis
• Ik kan in mijn eigen woorden uitleggen wat ‘zwaartekracht’ betekent.
• Ik kan het effect van de zwaartekracht bespreken.
• Ik kan de kenmerken van de zwaartekracht opsommen
• Ik kan de zwaartekrachtvector tekenen op voorwerpen.
• Ik kan opsommen welke factoren de grootte van de zwaartekracht beïnvloeden.
• Ik kan het verband tussen de massa en de zwaartekracht onderzoeken
• Ik kan in mijn eigen woorden uitleggen wat de zwaarteveldsterkte betekent.
• Ik kan met de massa van een voorwerp de zwaartekracht op dat voorwerp berekenen met behulp van de zwaarteveldsterkte.
• Ik kan het onderscheid tussen massa, zwaartekracht en gewicht toelichten.
• Ik kan de gewichtsvector tekenen op voorwerpen.
2 Onderzoeksvaardigheden
• Ik kan berekeningen uitvoeren met afgelezen waarden.
` Je kunt deze checklist ook op invullen bij je Portfolio.
JANOG OEFENEN
Zit je vast bij een oefening?
Misschien helpen deze QR-codes je weer op weg!
GRAFIEKEN LEZEN
FORMULES OMVORMEN
VOORVOEGSELS EN MACHTEN
EENHEDEN OMZETTEN
BEREKENINGEN AFRONDEN
Werk alle vraagstukken uit op een cursusblad met ‘gegeven’, ‘gevraagd’ en ‘oplossing’.
Je kunt de oplossingsstrategie en de voorbeeldoefeningen gebruiken als extra ondersteuning.
VRAAGSTUKKEN OPLOSSEN TIP
1 Bestudeer de voorstelling van de zwaartekrachtvectoren.
a Duid aan welk(e) kenmerk(en) van de zwaartekrachtvector foutief is/zijn.
b Verbeter de foutief getekende zwaartekrachtvectoren.
1 2 3
aangrijpingspunt / richting / zin / grootte
2 Bekijk de vier grafieken.
aangrijpingspunt / richting / zin / grootte
aangrijpingspunt / richting / zin / grootte
Welke grafiek geeft het verband weer tussen de zwaarteveldsterkte g en de massa m op aarde?
3 De Falcon Heavy-raket, met een massa van 1 420 ton, wordt vanop de evenaar (g = 9,78 N kg) gelanceerd.
a Bereken de grootte van de zwaartekracht op de raket.
Gegeven: Gevraagd:
Oplossing:
Controle: Hoe verandert je resultaat bij een lancering vanaf België?
b Teken en benoem de zwaartekrachtvector op schaal 1 cm 70 ∙ 105 N.
4 Bereken de gevraagde grootheden.
Voorwerp
5 Een zwemmer (m = 73,0 kg) staat op een duikplank.
a Bereken de zwaartekracht die op de zwemmer inwerkt als hij op de duikplank staat.
Gegeven: Gevraagd:
Oplossing: Controle: Hoe verandert de zwaartekracht tijdens de duiksprong?


b Bereken het gewicht van de zwemmer als hij op de duikplank staat.
Gegeven: Gevraagd:
Oplossing:
c Hoe verandert het gewicht tijdens de duiksprong?
d Teken en benoem de zwaartekrachtvector en de gewichtsvector op de duiker voor de duiksprong.
e Teken en benoem de zwaartekrachtvector en de gewichtsvector op de duiker tijdens de duiksprong.
` Verder oefenen? Ga naar .
LEERDOELEN
Je kunt al:
L een kracht voorstellen als een vector;
L de zwaartekracht en het gewicht berekenen.
Je leert nu:
L krachten met dezelfde richting samenstellen;
L krachten met een verschillende richting samenstellen.

Op de meeste voorwerpen grijpen verschillende krachten tegelijk in. Een zeilboot ondervindt, naast de windkracht in de zeilen, een weerstandskracht van het water, de zwaartekracht en een opwaartse kracht door het water. Om na te gaan wat het effect is van al die krachten, ga je op zoek naar de resulterende kracht. In dit hoofdstuk bestudeer je die resulterende kracht, samengesteld door krachten die in dezelfde of in verschillende richtingen werken.
1 Hoe stel je krachtvectoren met dezelfde richting samen?
OPDRACHT 11
Bestudeer aan de hand van de applet het gevolg van meerdere krachten in dezelfde richting die samen inwerken.
1 Onderzoek met hoeveel kracht de volgende figuren trekken. Open in de applet het onderdeel ‘resultante’ en vink de optie ‘waarden’ aan.



OPDRACHT 11 (VERVOLG)
2 Bestudeer de resulterende kracht voor de opstellingen.
Vink in de applet de optie ‘som van de krachten’ aan om de resulterende kracht te bepalen.
a

Hoeveel horizontale krachten werken er tegelijk in op de kar?
Zal de kar bij de start naar één kant bewegen? Ja, naar rechts. / Ja, naar links. / Nee.
Hoe groot is de resulterende kracht? F res = N b

Hoeveel horizontale krachten werken er tegelijk in op de kar?
Zal de kar bij de start naar één kant bewegen? Ja, naar rechts. / Ja, naar links. / Nee.
Hoe groot is de resulterende kracht? F res = N
De samenstelling van verschillende krachten die op een voorwerp inwerken, noem je de resulterende kracht F res . Het is de som van alle krachten
(F1, F2 ... Fn) die inwerken op een voorwerp.
In symbolen: F res = F 1 + F2 + ... + F n
Voor krachten met dezelfde richting heeft de resulterende kracht (Fres) dezelfde richting.
De grootte F res van de resulterende kracht bereken je als volgt:
• resulterende krachtgrootte van krachten met dezelfde richting en zin berekenen: som krachtgroottes (F res = F 1 + F2);
• resulterende krachtgrootte van krachten met dezelfde richting en een tegengestelde zin berekenen: verschil tussen de grootste en kleinste krachtgroottes
(F res = F 1 – F2).
INSTRUCTIEFILMPJE
F res = F 1 + F2
Krachten met eenzelfde richting en eenzelfde zin
F2 F 1
F res
Krachten met eenzelfde richting en een tegengestelde zin F2 F 1
res
Je tekent de resulterende krachtvector met de kop-staartmethode:
• Je tekent de eerste krachtvector F 1
• Je tekent de tweede krachtvector F2 vanaf de pijlpunt van F 1
• Je tekent de resulterende krachtvector F res vanaf het begin van de eerste krachtvector tot aan de pijlpunt van de laatste krachtvector.
• Als er meer dan twee krachten ingrijpen, herhaal je dat:
—eerst voor krachtvectoren met een gelijke zin, —vervolgens voor krachtvectoren met een tegengestelde zin.
De krachten worden vaak getekend in een krachtenschema. Dat is een aparte figuur waarop alle krachten getekend zijn in het massapunt.
De resulterende kracht (Fres) is de som van alle krachten (F1, F2 ... Fn) die inwerken op een voorwerp.
In symbolen: F res = F 1 + F2 + ... + F n
Voor krachten in dezelfde richting bepaal je de resulterende kracht met de kop-staartmethode in één richting. De resulterende kracht heeft dezelfde richting als de afzonderlijke krachten.
` Maak oefening 1 t/m 4 op p. 251-252.
VOORBEELD KRACHTEN MET DEZELFDE RICHTING EN ZIN SAMENSTELLEN
Lindsay en Brecht duwen een doos op een horizontale vloer. Op het zijaanzicht zie je dat ze beiden in dezelfde richting en zin duwen. Er werken twee krachten in op hetzelfde aangrijpingspunt, met eenzelfde richting (horizontaal) en zin (naar rechts).
1 cm 100 N

De krachten worden schematisch voorgesteld in een krachtenschema: de doos vervang je door een massapunt en je tekent de inwerkende horizontale krachten naar rechts.
De resulterende duwkracht F res is de som van de twee duwkrachten die inwerken:
Omdat de krachten eenzelfde zin hebben, versterken ze elkaar. De resulterende krachtvector vind je via de kop-staartmethode (zie oplossingstrategie).
De resulterende krachtvector (die je tekent van het begin van de eerste kracht tot het einde van de tweede kracht) stelt de som voor van de inwerkende krachten. F res
De eigenschappen van de resulterende krachtvector F res zijn:
• aangrijpingspunt: massacentrum (in dit voorbeeld het midden van de doos)
• richting: dezelfde als de samengestelde krachten (in dit voorbeeld horizontaal)
• zin: dezelfde als de samengestelde krachten (in dit voorbeeld naar rechts)
• grootte: de grootte van de twee vectoren opgeteld
F res = F 1 + F2
De grootte is
F 1 = 500 N
F2 = 200 N
F res = F 1 + F2 = 700 N
VOORBEELD KRACHTEN MET DEZELFDE RICHTING EN TEGENGESTELDE ZIN SAMENSTELLEN
Lindsay en Brecht duwen een doos op een horizontale vloer. Op het zijaanzicht zie je dat ze beiden in dezelfde richting maar in een tegengestelde zin duwen. Er werken twee krachten in, met eenzelfde richting (horizontaal) maar tegengestelde zin (naar links en naar rechts).
De krachten worden schematisch voorgesteld in een krachtenschema: de doos vervang je door een massapunt en je tekent de inwerkende horizontale krachten (naar rechts en links).
De resulterende duwkracht F res is de som van de twee duwkrachten die inwerken. Ook al zijn de duwkrachten tegengesteld, vectoren samenstellen wordt altijd gezien als ‘de som van vectoren’. Er staat dus altijd een plusteken tussen de vectoren: F res = F 1 + F2
Omdat de krachten een tegengestelde zin hebben, werken ze elkaar tegen. De resulterende krachtvector vind je via de kop-staartmethode (zie oplossingstrategie).
1
2
De resulterende krachtvector (die je tekent van het begin van de eerste kracht tot het einde van de tweede kracht) stelt de som voor van de inwerkende krachten.
F res
De eigenschappen van de resulterende krachtvector F res zijn:
• aangrijpingspunt: massacentrum (in dit voorbeeld het midden van de doos)
• richting: dezelfde als de samengestelde krachten (in dit voorbeeld horizontaal)
• zin: dezelfde als de grootste kracht (in dit voorbeeld naar rechts)
• grootte: het verschil van de grootte van de twee vectoren:
De grootte is
F res = F 1 – F2
F 1 = 500 N
F2 = 200 N
F res = F 1 – F2 = 300 N
De enige kracht die inwerkt is ook de resulterende kracht.
NEE
Kenmerken resulterende kracht :
F res = • richting: • zin: • gr ootte:
Kenmerken resulterende kracht :
JA Werkt er meer dan één kracht in op het voorwerp?
Je kunt de resulterende kracht bepalen met de kop-staartmethode.
Gegeven : kr achten van 10 N en 20 N naar rechts
Gevraagd : F res = ?
F res = • richting: • zin: • gr ootte:
Gegeven : kr achten van 10 N naar rechts en 20 N naar links
Gevraagd : F res = ?
JA
NEE
Hebben de krachten dezelfde zin?
F res = Alle krachten hebben richting.
Hebben al de krachten dezelfde richting?
JANOG OEFENEN
1 Begripskennis
• Ik kan het begrip ‘resulterende kracht’ omschrijven.
• Ik kan de kenmerken van de resulterende kracht van krachten met dezelfde richting bepalen
` Je kunt deze checklist ook op invullen bij je Portfolio.
Mijn notities
1 Teken de resulterende kracht in elke voorgestelde situatie.
2 Lisa (m = 80 kg) neemt de lift (m = 320 kg) van de gelijkvloerse naar de derde verdieping. Teken en benoem de gevraagde krachten in het massapunt P.
De zwaartekracht op de lege liftDe zwaartekracht
• op de lege lift,
• op Lisa,
• op het geheel
3 Een raket met een massa van 2 050 ton wordt gelanceerd met een motorkracht van 30 MN.
a Teken de zwaartekracht, de motorkracht en de resulterende kracht in een krachtenschema. Schat de onderlinge groottes.
b Bereken de grootte van de zwaartekracht en de grootte van de resulterende kracht.
Gegeven:
Gevraagd: 1
Oplossing: 1
c Klopt je voorspelling over de onderlinge groottes?
De motorkracht en de zwaartekracht tijdens het vertrek omhoog, zodat de weergegeven resulterende kracht inwerkt
4 Twee krachten F 1 en F2 werken in dezelfde richting, met F 1 > F2. Vul aan.
Resulterende krachtvector
Resulterende krachtgrootte
Krachten werken in dezelfde zin
Krachten werken in tegengestelde zin
` Verder oefenen? Ga naar
Je kunt al:
L de resulterende kracht bepalen;
L het dynamisch effect van een kracht omschrijven;

L de zwaartekracht en het gewicht berekenen.
Je leert nu:
L plastische en elastische vervorming van elkaar onderscheiden;
L de veerkracht omschrijven;
L het verband tussen de grootheden veerkracht en uitrekking omschrijven;
L de normaalkracht omschrijven en voorstellen.
1 Wat is veerkracht?
1.1 Vervorming
OPDRACHT 12
Bestudeer het statisch effect van krachten.
1 Bestudeer de drie sportievelingen.
2 Vul de tabel aan.

In de fitnesszaal kun je niet enkel halters gebruiken om je spieren te trainen. Ook weerstandsbanden en -elastieken zijn handige hulpmiddelen om je spieren te versterken. Je moet je spierkracht namelijk gebruiken om de weerstandsbanden en -elastieken te vervormen.
In dit hoofdstuk bestudeer je welke types vervorming er bestaan. Je gaat op zoek naar de kenmerken van de veerkracht die inwerkt op voorwerpen.
1 2 3

Op welk voorwerp werkt de kracht?

Is de uitgeoefende kracht een contactkracht of een veldkracht?
contactkracht / veldkrachtcontactkracht / veldkrachtcontactkracht / veldkracht
Wanneer is de vervorming door de kracht merkbaar?
voor / terwijl / nadat de kracht werkt
voor / terwijl / nadat de kracht werkt
voor / terwijl / nadat de kracht werkt
Krachten veroorzaken bij contact een vervorming van een voorwerp. Ze hebben een statisch effect. Er zijn twee soorten vervorming:
• Elastische vervorming
De voorwerpen vervormen tijdens het contact en nemen hun oorspronkelijke vorm weer aan nadat de kracht wegvalt


• Plastische vervorming
De voorwerpen vervormen tijdens het contact en de vervorming blijft nadat de kracht wegvalt. Sommige elastische vervormingen worden plastische vervormingen als de kracht te groot is of de kracht te vaak uitgeoefend wordt.

Een skiër laat sporen na in de sneeuw. Nadat hij gepasseerd is, zijn de sporen nog altijd zichtbaar.
Voorwerpen die elastisch vervormen, noem je veren. Binnen de elasticiteitsgrenzen neemt een veer haar oorspronkelijke vorm weer aan.
De vervorming van een voorwerp is het statisch effect van een kracht op het voorwerp.
• Een elastische vervorming verdwijnt als de kracht wegvalt.
• Een plastische vervorming is blijvend
Voorwerpen die hun oorspronkelijke vorm weer aannemen nadat de kracht verdwijnt, noem je veren
` Maak oefening 1 en 2 op p. 266.
OPDRACHT 13
Onderzoek het verband tussen de kracht op de veer en de veerkracht.
1 Open de applet en kies voor ‘Inleiding’.
2 Oefen een trekkracht uit op de veer.
3 Bestudeer de grootte van de kracht op de veer Fop en de veerkracht Fv.
4 Vul je waarnemingen aan in de tabel.
a Duid de lengteverandering ∆l aan op de figuur.
b Teken en benoem de krachten.
c Vergelijk de kenmerken van Fop en Fv
Tekening
Trekkracht
Kenmerken F op en F v
• Aangrijpingspunt: hetzelfde / verschillend
• Richting: hetzelfde / verschillend
• Zin: hetzelfde / verschillend
• Grootte: hetzelfde / verschillend
Om een veer te vervormen, is er een kracht nodig op de veer. Je noemt die contactkracht de kracht op de veer, voorgesteld door het symbool F op
De vervorming van de veer merk je aan een lengteverandering ∆l Een onbelaste veer bevindt zich in de evenwichtspositie en heeft een lengte lbegin. Een belaste veer heeft een lengte leind. De lengteverandering ∆l bereken je als het verschil tussen de begin- en eindlengte.
Grootheid met symbool SI-eenheid met symbool lengteverandering∆l = leind – lbegin meter m
Bij een uitrekking wordt de veer langer. De lengteverandering ∆l > 0
Uitrekking leind lbegin
l (m) F v F op
∆l = leind – lbegin
∆l > 0
De vervormde veer oefent zelf een kracht uit om haar oorspronkelijke vorm weer aan te nemen.
Je noemt dat de veerkracht, voorgesteld door het symbool F v De kracht op de veer Fop en de veerkracht Fv zijn vectoren met hetzelfde aangrijpingspunt, dezelfde richting en dezelfde grootte. Ze hebben dezelfde richting en grootte: F v = – F op .
1,00 0 l (m)
Kenmerk vector Kracht op veer F op Veerkracht F v
Aangrijpingspunt in het contactpunt op de veer in het contactpunt op het voorwerp dat de kracht uitoefent
Richting de richting van de veer
Zin tegengesteld aan elkaar
Grootte even groot
Julia kiest voor een training van de armspieren, waarbij ze aan een veer moet trekken die aan één kant vasthangt aan de muur.
F op = Fspier
Uitgeoefend doorUitgeoefend op
Julia veer
F v veer
Julia
Julia oefent met haar arm een spierkracht uit op de veer. Het statisch effect van die kracht is een lengteverandering van de veer: de veer rekt uit.
We kiezen voor een lengteas (l-as) waarbij de oorsprong samenvalt met het een uiteinde van de veer. De onbelaste veer heeft een lengte lbegin = 1,00 m.
Julia oefent een spierkracht Fspier (Fspier = 60 N) uit op de veer, waardoor de veer uitrekt tot een lengte leind = 1,20 m. Je kunt de lengteverandering van de veer als volgt berekenen:
∆l = leind – lbegin = 1,20 m – 1,00 m = 0,20 m
De opgespannen veer oefent ook een kracht uit op Julia, de veerkracht De veer wil terug naar haar oorspronkelijke positie en trekt aan de arm van Julia. De grootte van de veerkracht is gelijk aan de grootte van de uitgeoefende kracht op de veer:
F v = Fspier = 60 N
Kenmerk vector Kracht op veer Fspier Veerkracht F v
Aangrijpingspunt veer Julia Richting horizontaal
Zin naar rechts, volgens de uitrekking naar links, tegen de uitrekking in Grootte Fspier = F v = 60 N
1.3
OPDRACHT 14
De kracht op de veer F op is een contactkracht, uitgeoefend door een voorwerp op de veer.
Het effect van de kracht op de veer is een lengteverandering ∆l
De veerkracht F v is een contactkracht, uitgeoefend door de opgespannen veer op dat voorwerp.
De kracht op de veer en de veerkracht zijn vectoriële grootheden.
Kenmerk vector Kracht op veer Veerkracht
Aangrijpingspunt in het contactpunt op de veer in het contactpunt op het voorwerp dat de kracht uitoefent
Richting de richting van de veer Zin volgens de uitrekkingtegen de uitrekking in
Grootte F op = F v
Bij een veer in rust is de kracht op de veer even groot als, maar tegengesteld aan de veerkracht.
Bestudeer de uitrekking van verschillende veren.
1 Aan verschillende veren wordt eenzelfde massablokje gehangen. Maak de uitspraken correct.
• De veren hebben dezelfde / een verschillende uitrekking.
• Hoe stijver de veer, hoe kleiner / groter de uitrekking bij eenzelfde kracht.
• Hoe stijver de veer, hoe kleiner / groter de kracht die nodig is om eenzelfde uitrekking te veroorzaken.
2 Noteer twee verschillende factoren die de stijfheid van een veer bepalen.
Controleer je ervaringen met de applet.
3 Bestudeer veren uit verschillende toepassingsgebieden.
Rangschik de foto’s van de meest stijve naar de minst stijve veer.





OPDRACHT 15 ONDERZOEK
Onderzoek de factoren die een invloed hebben op de grootte van de veerkracht aan de hand van het labo bij het onlinelesmateriaal.
De absolute waarde van een getal is dat getal zonder toestandsteken.
Als een veer uitgerekt is door een kracht F op over een afstand ∆l, oefent de veer een veerkracht F v uit op het voorwerp dat de veer uitrekt.
bv. |−5| = 5 TIP N m
OPDRACHT 16
De F(Δl)-grafiek is een halfrechte door de oorsprong. De grootte F v van de veerkracht is recht evenredig met de absolute waarde van de uitrekking ∆l van de veer: F
Dat is de wet van Hooke
De evenredigheidsconstante k noem je de veerconstante. De waarde van k is constant voor een bepaalde veer. De veerconstante is een maat voor de stijfheid van de veer. Hoe groter de veerconstante is, hoe meer kracht er nodig isom dezelfde lengteverandering te bekomen.
Grootheid met symbool SI-eenheid met symbool veerconstante k newton per meter
Geef betekenis aan de veerconstante.
1 Leg in je eigen woorden uit wat een veerconstante van 8 N m betekent.
2 Zet alle veerconstanten om naar de eenheid N m
k2 = 8 kN m =
k3 = 8 N cm =
k5 = 4 N cm =
3 Rangschik de veren van soepel naar stijf.
k1 = 8 N m ; k2 = 8 kN m ; k3 = 8 N cm ; k4 = 4 N m ; k5 = 4 N cm
EENHEDEN OMZETTEN
VOORBEELD VEERCONSTANTE
Julia oefent een kracht uit op een veer met veerconstante k = 300 N m . Door de uitgeoefende kracht op de veer rekt de veer 0,20 m uit. De veerkracht van de veer kun je als volgt berekenen:
F v = k · |∆l| = 300 N m · |0,20 m| = 60 N
De veer oefent een kracht F v = 60 N uit op Julia’s arm. Julia zelf oefent een even grote, maar tegengestelde kracht uit op de veer: F op = 60 N.
Om haar armspieren nog sterker te maken, vervangt Julia de veer door een stijvere versie met veerconstante k = 450 N m . Om dezelfde lengteverandering ∆l = 0,20 m te bekomen, zal Julia een grotere kracht moeten uitoefenen op de veer:
F v = k · |∆l| = 450 N m · |0,20 m| = 90 N
OPDRACHT 17
Los het vraagstuk op.
Bij een trampoline worden meerdere veren gebruikt. Zo één veer heeft een veerconstante van 8,0 kN m
Stel dat die voor een lengte van 4,0 cm langer wordt, met welke kracht is er dan aan getrokken?

1 Bereken de kracht op de veer in de trampoline.
Gegeven:
Gevraagd:
Oplossing:
OPDRACHT 17 (VERVOLG)
Controle:
2 Teken en benoem de krachten die inwerken op de veer.
3 Controleer je antwoord met de QR-code.
Als een veer met veerconstante k een lengteverandering ∆l heeft, dan oefent de veer een veerkracht F v uit op het voorwerp dat de veer uitrekt of induwt:
F v = k · ∆l
waarbij k de veerconstante (een maat voor de stijfheid) is.
Grootheid met symbool SI-eenheid met symbool veerconstante k newton per meter
Die uitdrukking noem je de wet van Hooke. Die wet is geldig als de veer elastisch vervormt.
` Maak oefening 3 t/m 9 p. 266-268.
OPDRACHT 18
Bestudeer de afbeeldingen van spelende kinderen.
1 Wat gebeurt er als de kinderen het oppervlak raken? Duid aan onder de afbeeldingen.
2 Hoe komt dat? Duid aan onder de afbeeldingen.

De kinderen kunnen wel / niet op het water staan.
De ondersteuning door het water is te klein / groot genoeg / te groot.

De kinderen kunnen wel / niet op het grasveld staan.
De ondersteuning door het grasveld is te klein / groot genoeg / te groot.
Een voorwerp dat ondersteund wordt, ondervindt een normaalkracht. Als het ondersteunende voorwerp niet stevig genoeg is, is er geen normaalkracht.
De normaalkracht is een contactkracht met als symbool F n en deze kenmerken:
• Het aangrijpingspunt is op het voorwerp dat ondersteund wordt
• De richting is loodrecht op het oppervlak. Daar komt de naam ‘normaalkracht’ vandaan: ‘normaal’ is een ander woord voor ‘loodrecht’.
• De zin van de normaalkracht is van het oppervlak weg
• De grootte van de normaalkracht is voor horizontale oppervlakken even groot als het gewicht.
VOORBEELD

De breakdancer staat met zijn handen op de grond. Hij oefent een gewicht F g uit op de vloer. Hij zakt niet door de vloer, omdat de vloer hem ondersteunt. Er is een normaalkracht F n in het contactpunt van de hand met de grond.
Als een voorwerp ondersteund wordt door een oppervlak, dan werkt er een normaalkracht met deze kenmerken:
• aangrijpingspunt: het contactpunt,
• richting: loodrecht op het oppervlak,
• zin: van het oppervlak weg,
• grootte: zodanig dat de resulterende kracht loodrecht op het oppervlak nul is.
` Maak oefening 10 en 11 op p. 269.
VEERKRACHT


vervorming
• : De vervorming verdwijnt als de kracht wegvalt.
• : De vervorming blijft als de kracht wegvalt.
Bij belasting van een veer werken er twee krachten:
kracht op de veer
= een contactkracht, uitgeoefend door een voorwerp op de veer
• aangrijpingspunt:
• richting:
• zin:
• grootte:
veerkracht
= een contactkracht, uitgeoefend door de opgespannen veer op een voorwerp
• aangrijpingspunt:
• richting:
• zin:
• grootte:
= het verschil tussen de lengte van de onbelaste veer lbegin en de lengte van de belaste veer leind
= een maat voor de stijfheid van de veer
Grootheid met symbool SI-eenheid met symbool
wet van Hooke
Het
• aangrijpingspunt:
• richting:
• zin:
oefent een kracht uit met deze kenmerken:
• grootte: zodanig dat de loodrecht op het oppervlak is
JANOG OEFENEN
1 Begripskennis
• Ik kan het verschil tussen elastische en plastische vervorming uitleggen.
• Ik kan het effect van een kracht op een veer bespreken.
• Ik kan in woorden uitleggen wat ‘veerkracht’ en ‘kracht op een veer’ betekenen.
• Ik kan de kenmerken van de veerkracht en de kracht op een veer opsommen.
• Ik kan de krachtsvectoren van en op een veer tekenen
• Ik kan opsommen welke factoren de grootte van de veerkracht beïnvloeden.
• Ik kan in mijn eigen woorden uitleggen wat de veerconstante betekent.
• Ik kan met de lengteverandering van een veer de veerkracht van de veer berekenen met behulp van de veerconstante.
• Ik kan de lengteverandering van een veer die wordt veroorzaakt door de gewichtskracht op die veer, berekenen
• Ik kan de normaalkracht omschrijven.
` Je kunt deze checklist ook op invullen bij je Portfolio.
Mijn notities
1 Boris schiet tijdens het boogschieten in de roos.
a Welke kracht zorgt voor de vervorming van de boog?
b Welk type vervorming ondergaat de boog?
c Welk type vervorming ondergaat de schietschijf?

d Welk van beide voorwerpen kun je beschouwen als een veer?
2 Los de vragen op.
a Welke uitspraak is correct, als de uitgeoefende kracht toeneemt?
Elke vervormbare stof vervormt eerst plastisch en daarna elastisch.
Elke vervormbare stof vervormt eerst elastisch en daarna plastisch.
Elke veer vervormt eerst plastisch en daarna elastisch.
Elke veer vervormt eerst elastisch en daarna plastisch.
b Geef een tegenvoorbeeld bij de foute antwoorden.
3 Je hebt een soepele en een stijve veer. Vul aan met ‘kleiner dan’, ‘gelijk aan’ of ‘groter dan’.
a De veerconstante van de soepele veer is de veerconstante van de stijve veer.
b Bij eenzelfde kracht is de uitrekking van de soepele veer de uitrekking van de stijve veer.
c Bij eenzelfde uitrekking is de kracht op de soepele veer de kracht op de stijve veer.
4 Bestudeer de grafiek en los de vragen op.
a Duid de juiste bewering(en) aan.
Veer 1 heeft de grootste veerconstante.
Veer 1 is de soepelste veer.
Veer 2 is de langste veer.
Op veer 1 en 3 wordt een even grote kracht uitgeoefend.
De lengteverandering van veer 1 en veer 3 is gelijk.
b Van welke veer kun je de veerconstante rechtstreeks aflezen uit de grafiek?
• Duid het punt aan waar je dat afleest.
• Geef de veerconstante. k =
F v (N) Fv(Δ l )-grafiek
5 Zet de veerconstanten om naar N m .
a k = 2 N cm =
b k = 152 kN m =
c k = 0,05 N cm =
d k = 1,2 kN cm =
6 Vervolledig de tabel met de (omgevormde) formule in symbolen en het eindresultaat.
7 Tommy oefent een kracht van 5,0 N uit op de elastiek van een katapult. De elastiek rekt 2,5 cm uit. Bereken de grootte van de veerconstante van zijn katapult.
Gegeven:
Gevraagd: Oplossing: Controle:
8 Rangschik de volgende veren volgens stijgende veerconstante.
• Veer 1 heeft een veerconstante van 8,0 N m
• Veer 2 drukt 7,0 cm in als er een kracht van 3,5 N op wordt uitgeoefend.
• Veer 3 rekt 4,5 cm uit als er een blokje met massa 25 g aan wordt gehangen.
9 Julia en Saar komen elkaar tegen in de fitness. Saar houdt een halter (m = 2,0 kg) in de lucht en Julia rekt een veer (k = 300 N m ) uit over een afstand van Δl = 0,20 m.
Vergelijk de spierkracht die Saar en Julia uitoefenen om de halter en de veer stil te houden.
a Vul de tabel verder aan.
b Teken en benoem de krachten in beide situaties.
Aangrijpingspunt
Richting
Zin
10 Een flamingo wordt door de aarde aangetrokken met een kracht van 30 N. Teken de gewichtsvector en de normaalkrachtvector.
Kies hiervoor een gepaste schaal: 1 cm

11
Een stoel met massa 8,5 kg steunt met vier poten op de vloer.
a Maak de uitspraken correct.
• De normaalkracht wordt uitgeoefend door de poten / door de vloer
• Het aangrijpingspunt van de normaalkracht ligt in het steunpunt op de poten / op de vloer
• Op de stoel werkt niet alleen de normaalkracht maar ook de zwaartekracht / de gewichtskracht / de zwaartekracht en de gewichtskracht
• De resulterende kracht op de stoel is nul / verschillend van nul
b Bereken de normaalkracht die elke poot ondervindt.
Gegeven:
Gevraagd:
Oplossing:
` Verder oefenen? Ga naar .
LEERDOELEN
Je kunt al:
L de resulterende kracht bepalen;

L het dynamisch effect van een kracht omschrijven;
L de zwaartekracht en het gewicht berekenen;
L de normaalkracht herkennen.
Je leert nu:
L het verband tussen de resulterende kracht en rust omschrijven;
L het verband tussen de resulterende kracht en een ERB omschrijven;
L het verband tussen de resulterende kracht en een snelheidsverandering omschrijven.
1 Hoe verandert de bewegingstoestand tijdens een
OPDRACHT 19
Bestudeer de bewegingstoestand tijdens een parachutesprong.
1 Bestudeer de video.
2 Bestudeer de snelheid.
a Welke richting heeft de snelheid?
b Welke zin heeft de snelheid?
Tijdens een parachutesprong zijn er verschillende fases. Alles begint natuurlijk met de kriebels in je buik op het moment dat je springt, maar wat daarna? Zit er een maximumsnelheid aan je val? En welke krachten werken er allemaal op je in tijdens je val?
In dit hoofdstuk bestudeer je het verband tussen de resulterende kracht en de (verandering van) bewegingstoestand.
c Duid de kenmerken van de snelheidsgrootte tijdens de sprong aan.
Deelbeweging Snelheidsgrootte Bewegingstoestand
In het vliegtuig blijft gelijk / neemt toe / neemt af verandert wel / niet
Net na de sprong blijft gelijk / neemt toe / neemt af verandert wel / niet
Net voordat de parachute geopend wordt blijft gelijk / neemt toe / neemt af verandert wel / niet
Net nadat de parachute geopend is blijft gelijk / neemt toe / neemt af verandert wel / niet
Nadat de parachute een tijdje open is blijft gelijk / neemt toe / neemt af verandert wel / niet
Op de grond blijft gelijk / neemt toe / neemt af verandert wel / niet
Een voorwerp heeft op elk moment een bewegingstoestand: rust of een snelheid. Tijdens een beweging verandert een voorwerp van bewegingstoestand als de snelheid v verandert. Snelheid is een vectoriële grootheid. Er is een snelheidsverandering ∆v als een van de kenmerken van de snelheid verandert:
• snelheidsgrootte: het voorwerp versnelt of vertraagt;
• snelheidsrichting: het voorwerp maakt een bocht;
• snelheidszin: het voorwerp keert om.
VOORBEELD HASSAN TIJDENS EEN PARACHUTESPRONG
De parachutesprong is een samengestelde beweging. Tijdens sommige deelbewegingen van de parachutesprong verandert de snelheid van de parachutist Hassan. Zijn bewegingstoestand verandert. Tijdens andere deelbewegingen veranderen zijn snelheid en bewegingstoestand niet.
Op Hassan werken verschillende krachten. We bestuderen in de volgende paragrafen het verband tussen de resulterende kracht en Hassans bewegingstoestand.
Een voorwerp heeft op elk moment een bewegingstoestand: rust of een snelheid. Als een voorwerp versnelt, vertraagt of van richting verandert, verandert de snelheid v. De bewegingstoestand van het voorwerp verandert.
` Maak oefening 1 op p. 280.
2 Wat is het verband tussen kracht en verandering van bewegingstoestand?
Bij een voorwerp in rust of in evenwicht is er geen beweging. De snelheid is de hele tijd nul: vbegin = veind = 0, dus ∆v = 0
De bewegingstoestand van het voorwerp in rust verandert niet. Er is geen dynamisch effect van de resulterende kracht, omdat de resulterende kracht nul is: F res = 0.
We bekijken de bewegingstoestand van Hassan in het vliegtuig. Hij is in rust. Als Hassan nog in het vliegtuig staat, werken er in het contactpunt van Hassan met het vliegtuig twee krachten in: het gewicht F z en de normaalkracht Fn. Beide krachten compenseren elkaar. Dat wil zeggen dat ze even groot en tegengesteld zijn. De bewegingstoestand van Hassan verandert niet. De parachutist was in rust (v = 0) en blijft in rust. De resulterende kracht is nul: F res = F z + F n = 0.
Hassan heeft met zijn parachute een massa mtot = 95,0 kg. De grootte van de normaalkracht en de zwaartekracht zijn gelijk: F n = F z = m · g = 95,0 kg · 9,81 N kg = 932 N
Na de sprong is Hassan opnieuw in rust. De normaalkracht en de resulterende kracht op de grond zijn net hetzelfde als in het vliegtuig.
Als een voorwerp in rust is, is de resulterende kracht daarop nul: F res = 0 Er is geen verandering van bewegingstoestand.
` Maak oefening 2 t/m 5 op p. 280-281.
B De snelheid en de kracht hebben dezelfde richting.
Als de snelheidsgrootte verandert, verandert de snelheidsvector (∆v ≠ 0).
Dat zorgt ervoor dat de bewegingstoestand van het voorwerp verandert Er is een dynamisch effect, omdat de resulterende kracht niet nul is: F res ≠ 0.
Tijdens de parachutesprong ondervindt Hassan twee krachten:
• zwaartekracht: F z, verticaal naar beneden met een constante grootte F z = m ∙ g,
• weerstandskracht: F w, verticaal naar boven met een grootte die afhankelijk is van het contactoppervlak en de snelheid.
De onderlinge grootte bepaalt de resulterende kracht (F res = F z + Fw) en dus de bewegingstoestand.
Tijdens de eerste seconden van de sprong (de parachute is nog niet open, zie afbeelding 111) is de weerstandskracht door de lucht kleiner dan de zwaartekracht. De resulterende kracht is verticaal naar beneden gericht, met een grootte verschillend van nul:
F res = F z – F w ≠ 0 N
krachten
Krachten na een paar seconden vallen F res F z F w
snelheid
Op tijdstip t1 is er een snelheid v1 v1 v2
Op tijdstip t2 is er een snelheid v2, waarbij v2 > v1
De resulterende kracht F res is verschillend van nul en heeft dezelfde richting en zin als de beweging. De parachutist versnelt.
Als Hassan zijn parachute opent (zie afbeelding 112), veroorzaakt het grote oppervlak van de parachute een grote weerstandskracht.
De weerstandskracht is groter dan de zwaartekracht.
De resulterende kracht is verticaal naar boven gericht, met als grootte:
F res = F z – F w ≠ 0
111
krachten
w
Krachten net nadat de parachute geopend is
Op tijdstip t3 is er een snelheid v3. v3
snelheid
Op tijdstip t4 is er een snelheid v4, waarbij v4 < v3 v4
De resulterende kracht F res is verschillend van nul en tegengesteld aan de beweging. De parachutist vertraagt.
C De snelheid en de kracht hebben een verschillende richting.
De resulterende kracht heeft dus een dynamisch effect en heeft een invloed op de richting waarin het voorwerp beweegt.
VOORBEELD RESULTERENDE KRACHT BIJ VERANDERING VAN
SNELHEIDSRICHTING
Een zijdelingse windstoot verandert de bewegingstoestand van Hassan ook (zie afbeelding 113). Stel dat de windstoot horizontaal invalt:
• In de verticale richting verandert de valsnelheid niet door de windkracht, omdat er geen windkracht werkt in de verticale richting.
• In de horizontale richting is er wel een resulterende kracht (de windkracht). De parachutist krijgt een snelheid in de horizontale richting.
De totale snelheidsvector is schuin naar beneden gericht.
Er is een verandering van de richting en de zin van de snelheidsvector. Er is een verandering van bewegingstoestand.
VOORBEELD RESULTERENDE KRACHT BIJ VERANDERING VAN SNELHEIDSRICHTING (VERVOLG)
krachten
snelheid
Fwind Horizontale kracht door de wind
Snelheid v zonder wind v v'
Snelheid v tijdens een horizontale windstoot
Als F res ≠ 0, verandert de bewegingstoestand van een voorwerp.
Er is een dynamische uitwerking van de resulterende kracht.
Bij een resulterende kracht met dezelfde richting als de beweging, verandert de snelheid v van grootte:
• dezelfde zin: versnellen, v wordt groter;
• tegengestelde zin: vertragen, v wordt kleiner.
Bij een resulterende kracht met een verschillende richting als de beweging, verandert de snelheid v van richting.
Hoe groter de resulterende kracht Fres, hoe groter het dynamisch effect.
` Maak oefening 6, 7 en 8 op p. 282-284.
3
Een voorwerp voert een ERB uit als de snelheid(svector) v ≠ 0 constant is: vbegin = veind, dus ∆v = 0
De bewegingstoestand van het voorwerp dat een ERB uitvoert, verandert niet. Er is geen dynamisch effect van de resulterende kracht, omdat de resulterende kracht nul is: F res = 0.
We bekijken opnieuw de parachutesprong en bestuderen het moment vlak voordat de parachute opengaat. Als Hassan (mtot = 95,0 kg) een tijdje aan het vallen is, werken op hem de zwaartekracht F z en de luchtweerstand F w in. Door zijn toenemende snelheid is de weerstandskracht toegenomen. De zwaartekracht heeft dezelfde grootte en richting als de weerstandskracht. De zin is tegengesteld. De krachten compenseren elkaar.
De resulterende kracht is nul:
F res = F z + F w = 0
De grootte van de weerstandskracht en de zwaartekracht is: F w = F z = m · g = 95,0 kg · 9,81 N kg = 932 N
De bewegingstoestand van de parachutist verandert niet (zie afbeelding 114). Hassan voert een ERB uit (met een snelheid v5 = 55 m s ).
krachten
Krachten net voordat de parachute geopend wordt snelheid v5 v6
F z F w
Op tijdstip t5 is er een snelheid v5
Op tijdstip t6 is er een snelheid v6, waarbij v6 = v5
VOORBEELD RESULTERENDE KRACHT BIJ EEN ERB (VERVOLG)
Nadat de parachute geopend is, neemt de snelheid af. Door Hassans afnemende snelheid is de weerstandskracht (met parachute) afgenomen en even groot als de zwaartekracht. Beide krachten compenseren elkaar.
De resulterende kracht is nul:
F res = F z + F w = 0
De grootte van de weerstandskracht en de zwaartekracht is:
F w = F z = m · g = 95,0 kg · 9,81 N kg = 932 N
De bewegingstoestand van de parachutist verandert niet.
Hassan voert een ERB uit (met een snelheid v7 = 5 m s ).
krachten F z F w
Krachten een tijd nadat de parachute geopend is
snelheid v7 v8
Op tijdstip t7 is er een snelheid v7
Op tijdstip t8 is er een snelheid v8, waarbij v8 = v7.
Als een voorwerp een ERB uitvoert, is de resulterende kracht
op het voorwerp nul: F res = 0. Er is geen verandering van bewegingstoestand
` Maak oefening 9 op p. 285.
Op een voorwerp werken verschillende . Ze bepalen of er een verandering is van bewegingstoestand. Je noemt dat het effect van de resulterende kracht.
beweging is een ERB
geen verandering van bewegingstoestand:
∆v 0 en F res 0
verandering van bewegingstoestand:
∆v 0 en F res 0
beweging is geen ERB :
F res heeft dezelfde richting en dezelfde zin als de snelheid v of van zin veranderen:
F res heeft dezelfde richting en een tegengestelde zin als de snelheid v : F res staat loodrecht op de snelheid v
JANOG OEFENEN
1 Begripskennis
• Ik kan het verband tussen kracht en rust omschrijven.
• Ik kan de verschillende veranderingen van bewegingstoestand omschrijven.
• Ik kan het verband tussen kracht en een verandering van bewegingstoestand omschrijven.
• Ik kan de richting en de zin van de resulterende kracht bij een verandering van bewegingstoestand bepalen.
• Ik kan het verband tussen kracht en een ERB omschrijven.
` Je kunt deze checklist ook op invullen bij je Portfolio.
Mijn notities
1 Bestudeer de bowlingbal. Duid de bewegingstoestand aan.

• rust / beweging
• rust / beweging in de x-richting
• rust / beweging in de y-richting

• rust / beweging
• rust / beweging in de x-richting
• rust / beweging in de y-richting
2 Welke uitspraak is correct? Duid aan.
Op een voorwerp in rust werken geen krachten.

• rust / beweging
• rust / beweging in de x-richting
• rust / beweging in de y-richting
Op een voorwerp in rust werken enkel de zwaartekracht en de normaalkracht.
Op een voorwerp in rust werkt geen resulterende kracht.
Op een voorwerp in rust werken geen krachten volgens de x-richting.
3 Liesbeth (m = 61 kg) hangt onderaan een elastiek (k = 500 N m ) na een bungeesprong.
a Teken een krachtenschema.
b Bereken de uitrekking van de elastiek.
Gegeven:
Gevraagd:
Oplossing:
4 Twee verhuizers verhuizen een sofa (m = 165 kg).
Ze heffen allebei evenveel.
a Teken en benoem de zwaartekracht en de hefkrachten op de sofa in hun aangrijpingspunt.
b Bereken de hefkracht van elke verhuizer.

Gegeven:
Gevraagd:
Oplossing:
5
Een voetballer trapt een strafschop.
a Teken en benoem de resulterende kracht in de horizontale x-richting in elk van de volgende situaties. Verwaarloos de luchtweerstand.
b Noteer onder elke situatie de (verandering van) bewegingstoestand van de bal. Kies uit: rust – ERB – versnelling – vertraging
c Vul de uitdrukking van de resulterende kracht aan met = of ≠.
Bewegingstoestand en resulterende kracht in de x-richting
6 Bestudeer de verschillende situaties van de basketbal en de vectorvoorstellingen van de snelheid en de resulterende kracht.
a Verbind elke foto met de overeenkomstige vectorvoorstelling.




b Omschrijf een beweging van de basketbal die past bij de overblijvende vectorvoorstellingen.
7 Bestudeer de bewegingstoestand van een baal hooi tijdens het duwen. Bekijk de afbeeldingen.
a Welke krachten werken op de baal hooi?
• in de x-richting (horizontaal):
• in de y-richting (verticaal):
b Jonas en Lukas duwen even hard tegen een baal hooi in rust. Duid de juiste uitspraken aan in de tabel.


In welke bewegingstoestand bevindt de baal zich?
• De baal hooi blijft altijd / soms / nooit in rust.
• De baal hooi komt altijd / soms / nooit in beweging in de x-richting.
• De baal hooi komt altijd / soms / nooit in beweging in de y-richting.
• De snelheidsvector verandert altijd / soms / nooit
• De baal hooi blijft altijd / soms / nooit in rust.
• De baal hooi komt altijd / soms / nooit in beweging in de x-richting.
• De baal hooi komt altijd / soms / nooit in beweging in de y-richting.
• De snelheidsvector verandert altijd / soms / nooit
Welk verbanden gelden voor de resulterende kracht?
• De baal blijft in rust in de horizontale richting als F res, x = 0 / F res, x ≠ 0.
• De baal blijft in rust in de verticale richting als F res, y = 0 / F res, y ≠ 0.
• De baal blijft helemaal in rust als F res = 0 / F res ≠ 0.
8 Bestudeer de video van een curlingwedstrijd. a Waarom gebruiken de atleten een borstel?
b Boots de situatie na in de applet.
1 Open in de applet het onderdeel ‘Wrijving’. Wrijving of weerstand(skracht) is een weerstand die ontstaat wanneer vaste stoffen en/of vloeistoffen/gassen in contact komen met elkaar.
2 Klik ‘Krachten’, ‘Som van de krachten’ en ‘Snelheid’ aan.
3 Breng een voorwerp in beweging zonder wrijving.
4 Bestudeer de resulterende kracht op het moment dat het voorwerp in beweging komt.
5 Bestudeer voor een voorwerp dat in beweging gebracht is:
• de resulterende kracht,
• de snelheidsgrootte.
6 Herhaal met veel wrijving.
c Op de x-as is de curlingsteen bij vertrek getekend. Teken voor een situatie zonder en een situatie met borstelen:
1 het massapunt van de curlingpuck bij vertrek, na 1 s en na 2 s,
2 de snelheidsvector op de drie tijdstippen,
3 de resulterende kracht na 1 s.
Zonder borstelen

borstelen


9
Bestudeer wat er gebeurt nadat een parachutist zijn parachute opent.
a Hoe beweegt hij terwijl de parachute opengaat?
Duid je hypothese aan.
Hij vliegt even omhoog.
Hij hangt even stil.
Hij remt heel hard af.
b Bekijk de video.
c Was je hypothese juist? Verklaar indien nodig.
` Verder oefenen? Ga naar
VIDEO PARACHUTIST

KRACHTEN
VEELVOORKOMENDE

Kenmerken
AangrijpingspuntRichtingZinGrootte
OmschrijvingType
F z aantrekkingskracht door een hemellichaam veldkrachtzwaartepunt (Z)verticaal naar middelpunt hemellichaam
Kracht
zwaartekracht
contactkrachtsteunpunt (S)verticaal naar middelpunt hemellichaam
F g kracht op de ondersteuning door de aantrekking door een hemellichaam
gewicht
bewegings- richting tegengesteld aan vervorming
contactkrachtcontactpunt
F v terugroepkracht door een elastiek of veer
veerkracht
loodrecht op oppervlak van oppervlak weg variabel
contactkracht op het voorwerp dat ondersteund wordt
F n ondersteunings- kracht door het oppervlak
normaalkracht
KRACHTEN SAMENSTELLEN EN ONTBINDEN
Krachten samenstellen: kop-staartmethode
Krachten die inwerken volgens dezelfde richting
veranderen: F res heeft dezelfde richting en een tegengestelde zin als de snelheid v een bocht nemen : F res staat loodrecht op de snelheid v zin grootte richting aangrijpingspunt F
Op een voorwerp werken verschillende krachten.
Ze bepalen of er een verandering is van bewegingstoestand. Je noemt dat het dynamisch effect van de resulterende kracht.
geen verandering van bewegingstoestand: ∆ v = 0 verandering van bewegingstoestand:
versnellen : F res heeft dezelfde richting en dezelfde zin als de snelheid v vertragen of van zin
Veelvoorkomende krachten:
• kr acht op de ondersteuning door de aantrekking door de aarde: gewicht
• v eerkracht: terugroepende kracht door elastiek of veer
• onder steuningskracht door het oppervlak: normaalkracht
constante snelheid in de x -richting F res, x = 0 rust in de y -richting F res, y = 0
We kijken opnieuw naar de SpaceX-raket uit de CHECK IN.
1 Bestudeer de video’s van de lancering en de landing van de SpaceX-raket.
2 Vul voor elke situatie van de raket en het ISS de tabel aan.
a Teken de krachten in een krachtenschema.
b Welke (verandering van) bewegingstoestand is er?
c Hoe groot is de resulterende kracht?
De raket staat klaar voor lancering
a Krachtenschema
b
De parachute van de Crew Dragon-capsule is net geopend om te landen
a Krachtenschema
Lancering van de raket
Krachtenschema
De capsule nadert aan een constante snelheid de aarde om te landen
Krachtenschema
Beweging van de raket aan een constante snelheid

Krachtenschema
Ruimtestation ISS

Krachtenschema
b c F res 0
3 Hoe komt het dat de astronauten gewichtloos zijn?
4 Hoe kun jij gewichtloos zijn?
Op een voorwerp werken meerdere krachten. De zwaartekracht werkt in een groot gebied rond een hemellichaam. In combinatie met de motorkracht, de normaalkracht en de weerstandskrachten bekom je een resulterende kracht. Zodra de resulterende kracht verschilt van nul, verandert een voorwerp (zoals een raket) van bewegingstoestand: het versnelt, vertraagt of maakt een bocht.
MODULE 08

Hou je lichaam in balans terwijl je de zijwaartse radslag uitvoert.
WAT HEB JE NODIG?
voldoende ruimte om de oefening uit te voeren
een assistent
een flinke portie durf
HOE GA JE TE WERK?
1 Ga goed rechtop staan. Steek je handen in de lucht. Kijk naar de plek waar je je handen gaat plaatsen.
2 Richt je linkervoet naar die plek. Je linkerbeen mag plooien, je steunt daarop. Houd je andere been (het rechterbeen) gestrekt naar achter.
3 Plooi je bovenlichaam naar voor en houd je armen daarbij gestrekt.
4 Zet je handen na elkaar op de grond. Je linkerhand raakt eerst de grond, je rechter daarna.
5 Zwaai tegelijk je gestrekte rechterbeen omhoog. Je linkersteunbeen volgt daarna.
6 Laat je rechterbeen verder zwaaien en weer contact maken met de grond. Draai bij het neerzetten je rechtervoet wat naar je armen. Je assistent houdt je veilig.
7 Oefen totdat de beweging vloeiend wordt.
WAT GEBEURT ER?
1 Welke prikkels word je gewaar tijdens het uitvoeren van het wiel?
2 Op welke spieren doe je voornamelijk beroep om het wiel uit te voeren?
3 Tijdens de uitvoering van het wiel denk je bewust na over bepaalde handelingen. Geef een aantal voorbeelden van die bewuste processen.
4 Over sommige bewegingen denk je niet na. Benoem enkele onbewuste processen.
HOE ZIT DAT?
Het wiel nauwgezet aanleren kost tijd en moeite. Mogelijk lukt het je niet meteen. Je zintuigen draaien immers overuren door de vele prikkels. Waar zet je je handen? Hoe ver is dat van je af? Hoe hoog zit je hoofd van de grond? Zijn je spieren voldoende opgespannen?
Na het opvangen van de prikkels wordt de informatie daarover verzonden en verwerkt nog voor je maar één (veilige) stap zet. Welk systeem selecteert welke prikkels belangrijk zijn en berekent de opeenvolgende bewegingen? Hoe worden de juiste signalen naar de verschillende spieren verstuurd? Hoe weten je spieren wat ze precies moeten doen en hoe voeren ze dat uit?
Terwijl je bedenkt hoe je het wiel zult uitvoeren, gebeuren er ook tal van andere onbewuste processen in je lichaam. Gelukkig moet je daar niet over nadenken en gebeuren die processen vanzelf, maar hoe regelt je lichaam dat?
` Hoe wordt de informatie van een prikkel in je lichaam getransporteerd?
` Hoe gebeurt de verwerking van de informatie van een prikkel?
` Hoe wordt bepaald wat een gepaste reactie is en welke effectoren daarvoor aan de slag moeten?
` Hoe sturen spieren de gewenste bewegingen aan?
` Hoe regelt het lichaam onbewuste reacties?
We zoeken het uit! ?
OPDRACHT 1
Vul de tekst en het schema aan met de correcte begrippen. Kies uit:
bijsturen – effectoren – conductor – gewenste toestand – hormonale stelsel – informatie –meten – prikkel – reactie – receptoren – regelsystemen – zenuwstelsel
Je wilt prettig kunnen ‘wonen’ in je lijf, ondanks de soms veranderende omstandigheden van buitenaf of binnenin: je wilt het niet te warm of te koud hebben, je wilt voldoende brandstof, bouwstoffen en zuurstofgas in je lichaam, je wilt de juiste vochtbalans, en ga zo maar door …
In module 3 leerde je dat een organisme over beschikt om veranderingen op te vangen en het lichaam optimaal te laten werken in veranderende omstandigheden. Regelsystemen helpen je bij het , controleren en indien nodig van bijvoorbeeld het vochtgehalte, je lichaamstemperatuur, je voedingsbehoeften ...
Je leerde dat je kunt opvangen met
Het of het zijn de conductoren.
Zij geleiden vervolgens die informatie van de prikkel naar de , die op hun beurt een reactie uitvoeren.
waarneembare verandering
lichaamsdeel dat de prikkel herkent en opvangt
lichaamsdeel dat informatie geleidt
lichaamsdeel dat een reactie uitvoert
actie als antwoord op de prikkel signaal signaal
LEERDOELEN
Je kunt al:
L het belang van receptoren voor het waarnemen van prikkels omschrijven;

L uitleggen welke soorten receptoren er zijn;
L uitleggen hoe een prikkel de receptor activeert
L de rol van conductoren beschrijven.
Je leert nu:
L uit welke delen het zenuwstelsel is opgebouwd;
L omschrijven wat een neuron is en de onderdelen ervan benoemen;
1
De uitdaging van het wiel wordt nog groter voor mensen met een bionische arm of been. Zij kunnen het wiel echter net zo goed uitvoeren. Ook zij controleren en sturen vanuit hun wil de bewegingen aan, maar zij sturen hun impulsen naar hun elektronische robotarm of -been. Hoe doen zij dat?
Om die vragen te kunnen beantwoorden, bestuderen we eerst hoe het zenuwstelsel is opgebouwd.
In een volgende hoofdstuk bekijken we dan de weg die het signaal (de impuls) aflegt.
Nadat een prikkel door een receptor wordt opgemerkt, wordt de informatie daarover naar het zenuwstelsel doorgegeven. Het zenuwstelsel fungeert dus als geleider of conductor in het regelsysteem: het pikt de informatie van de receptoren op, verwerkt die info en geeft ze door aan de effectoren. Die geleiding of informatieoverdracht gebeurt door zenuwcellen of neuronen.
Bij de meeste neuronen kun je drie duidelijke delen herkennen, die elk een specifieke functie hebben. Het cellichaam bevat de celkern en heel wat andere celorganellen. Het cellichaam is meestal verbonden met veel dunne, vertakte uitlopers, die informatie naar het cellichaam brengen, de dendrieten. Het cellichaam stuurt de informatie dan verder naar andere cellen via een zeer lange uitloper (soms langer dan één meter), die meestal alleen op het einde vertakt is: het axon. Dat axon is omgeven door een myelineschede, onderbroken ter hoogte van de knopen van Ranvier.
De uiteinden van het axon maken contact met andere cellen zoals neuronen, spiercellen of kliercellen. Die uiteinden zijn knotsvormig verdikt en noemen we de eindknopjes. Ze bevatten vaak blaasjes met stoffen die nodig zijn om het signaal naar een volgende cel over te brengen.
dendrieten
cellichaam celkern axon
knoop van Ranvier
myelineschede eindknopjes doorsnede in lengte celkern
W Afb. 116
Delen van een neuron (zenuwcel)
Het zenuwstelsel zorgt voor de informatieoverdracht en de informatieverwerking. Zenuwcellen of neuronen brengen de informatie van de receptoren naar verwerkingscentra in de hersenen en het ruggenmerg. Daar wordt de informatie beoordeeld en het antwoord op de prikkel bepaald. Na de verwerking geleiden zenuwcellen de informatie over het antwoord naar de effectoren.
Cel van Schwann produceert myeline.
2
Aan een neuron kunnen we verschillende delen onderscheiden:
• Dendrieten zijn korte, sterk vertakte uitlopers die informatie naar het cellichaam geleiden. Een neuron kan veel dendrieten hebben.
• Het cellichaam bevat de kern en andere celonderdelen.
• Het axon is een langere uitloper die aan het uiteinde vertakt is, en brengt informatie naar andere cellen.
` Maak oefening 1 en 2 op p. 303.
Als je zenuwstelsel niet goed werkt, worden bepaalde impulsen niet doorgegeven in je lichaam. Drie verschillende typen neuronen spelen daarbij een cruciale rol. Het onderscheid tussen die neuronen wordt gemaakt op basis van de richting waarin ze de impuls doorgeven. Elk type vertoont eveneens een kenmerkende bouw. Je vindt ze terug op p. 295.

je armspieren
geleidt
OPDRACHT 2
Een baseballspeler vangt en gooit een bal. Gebruik afbeelding 117 om de vragen te beantwoorden.
1 Welke receptor van de baseballspeler merkt het vangen van de bal op?
2 Geef bij elk stap tussen het opvangen en het wegwerpen van de bal aan welke cellen daarvoor verantwoordelijk zijn.
Stappen
1 De prikkel omzetten naar een impuls
2 De impuls geleiden van de receptor naar de hersenen
3 De impuls verwerken in de hersenen
4 De impuls geleiden vanuit de hersenen naar de armspieren
3 Welke effector zorgt voor de reactie van de baseballspeler?
Cellen
Bij het spel met de basketbal worden er elektrische impulsen doorgegeven via de dendrieten en axonen van meerdere neuronen. Daarbij spelen drie typen neuronen een rol.
` Afferente of sensorische neuronen
Deze neuronen brengen impulsen van een receptor naar het centrale zenuwstelsel. Omdat deze neuronen dus gevoelig zijn voor impulsen van receptoren worden ze ook wel sensorische neuronen genoemd.
Een sensorisch neuron herken je aan de twee lange uitlopers: de dendriet is verbonden met de receptor, het axon loopt naar het centrale zenuwstelsel. De dendriet kan wel een meter lang zijn en je hele arm of been overbruggen.
` Efferente of motorische neuronen
Neuronen die impulsen geleiden vanuit het centraal zenuwstelsel zijn efferente neuronen. Wanneer efferente neuronen spieren of klieren in werking zetten, worden ze ook wel motorische neuronen genoemd.
Een efferent neuron vertoont korte dendrieten en een lang axon met myeline. Dat axon kan tot meer dan één meter lang zijn.
` Schakelneuronen
Neuronen die impulsen overbrengen binnen het centrale zenuwstelsel noemen we schakelneuronen. Ze liggen dus in het ruggenmerg of in de hersenen.
Schakelneuronen kunnen impulsen ontvangen en doorgeven aan motorische neuronen of andere schakelneuronen. Omdat ze meerdere zenuwcellen verbinden, worden ze ook wel interneuronen genoemd (‘inter’ betekent ‘tussen’).
Ze hebben talrijke dendrieten en korte axonen, vaak zonder myeline.
Omdat zenuwen vele zenuwcellen bevatten, kunnen er gelijktijdig meerdere impulsen verstuurd worden tussen het centraal zenuwstelsel en de receptoren en effectoren rondom.
WEETJE
Fantoompijn is een pijngevoel vanuit een lichaamsdeel dat je niet meer hebt. Daarbij kan het bijvoorbeeld gaan om pijn vanuit een geamputeerde borst, been, arm of zelfs kies. Meer dan de helft van de mensen met een verwijderde ledemaat heeft weleens fantoompijnen. Het zijn de schakelneuronen in de hersenen die die foutieve impulsen geven en de fantoompijn veroorzaken.

Al naargelang de richting waarin impulsen doorgegeven worden en de bouw van de neuronen, spreekt men van drie typen:
• Afferente of sensorische neuronen: geleiden impulsen van een receptor naar het centrale zenuwstelsel.
• Efferente of motorische neuronen: geleiden impulsen vanuit het centrale zenuwstelsel naar effectoren.
• Schakelneuronen: geleiden impulsen tussen verschillende soorten neuronen binnen het centrale zenuwstelsel.
Zenuwen worden onderverdeel in sensorische zenuwen, motorische zenuwen en gemengde zenuwen, al naargelang ze uitlopers bevatten van respectievelijk sensorische neuronen, motorische neuronen of beide.
3 Wat is het verschil tussen zenuwen en zenuwcellen?
Dankzij je zenuwstelsel kunnen impulsen doorgegeven worden vanuit de receptoren tot bij de effectoren, ook al bevinden die zich op erg verschillende plekken in je lichaam. Er zijn verschillende zenuwen die daarbij helpen.
zenuw
zenuwbundel
axon of lang dendriet
bindweefselschede
bloedvat


Een zenuw is een bundel met lange uitlopers van verschillende zenuwcellen. Die bundel van uitlopers wordt samengehouden en beschermd door een bindweefselschede. Op hun beurt worden meerdere zenuwbundels samengehouden door een stevige bindweefselmantel. Binnen in dat bindweefsel lopen bloedvaten: zij voorzien alle aanwezige structuren van onder andere zuurstofgas en voedingstoffen.
Er zijn verschillende bundels zenuwen, elk met hun specifieke locatie en eigenschappen. Zo geleiden sommige ruggenmergzenuwen impulsen van receptoren naar je ruggenmerg. Andere ruggenmergzenuwen zorgen voor de tegengestelde geleiding vanuit je ruggenmerg naar effectoren.
Je hersenzenuwen zorgen voor de uitwisseling van informatie tussen je aangezicht en je hersenen.
Het ruggenmerg en de hersenen bestaan uit miljarden neuronen. Alle informatie van receptoren wordt daar gecentraliseerd en verwerkt. Daarom vormen ze samen het centrale zenuwstelsel. Omdat ze erg belangrijk zijn, worden ze beschermd door een stevige omhuizing: de wervelkolom ligt rond het ruggenmerg, de schedel beschermt de hersenen.
rugzijde ruggenmerg
grensstreng
ruggenmergzenuw spinaal ganglion
buikzijde
S Afb. 120
Grensstrengen liggen parallel naast de wervelkolom.
grensstrengganglion
Je ruggenmergzenuwen en je hersenzenuwen daarentegen, liggen veel minder beschermd en meer verspreid over je lichaam. De ruggenmergzenuwen vertrekken vanuit het ruggenmerg tussen de ruggenwervels door naar de andere lichaamsdelen. De ruggenmergzenuwen en de hersenzenuwen behoren tot het perifeer zenuwstelsel. Ook de grensstrengen (5) die parallel rondom de buitenkant van je wervelkolom liggen, behoren tot het perifeer zenuwstelsel. De grensstrengen zijn twee bundels zenuwcellen die tal van organen met je ruggenmerg verbinden.
OPDRACHT 3
Noteer bij beide figuren de nummers van de correcte onderdelen van het zenuwstelsel.
Kies uit: ruggenmergzenuwen (1), ruggenmerg (2), hersenzenuwen (3), hersenen (4) en grensstrengen (5).
ruggenmergvliezen
centraal zenuwstelsel
perifeer zenuwstelsel
Een zenuw is een bundel van lange uitlopers van verschillende zenuwcellen. Daarin zitten ook bloedvaten die de neuronen voorzien van voedingsstoffen en zuurstofgas. Zenuwen bevatten ook bindweefsel die de uitlopers samenhouden en beschermen.
Op basis van de ligging, functie en aanwezige beschermende structuren deelt men het zenuwstelsel in twee delen in:
• Het centrale zenuwstelsel met de hersenen en het ruggenmerg ligt centraal in het lichaam en wordt beschermd door de wervels van de wervelkolom en de schedel.
• Het perifeer zenuwstelsel loopt door het hele lichaam. Het is opgebouwd uit hersenzenuwen, ruggenmergzenuwen en grensstrengen. Die zenuwen vervoeren impulsen van de receptoren naar het centraal zenuwstelsel, en van daaruit naar de effectoren.
` Maak oefening 3 en 4 op p. 303-304.
De geleiding van informatie gebeurt door zenuwcellen of neuronen. Aan een neuron kunnen we verschillende delen herkennen: dendrieten
cellichaam celkern axon
celkern knoop van Ranvier
• een cellichaam;
axon myelineschede eindknopjes doorsnede in lengte
• : vertakte uitlopers die informatie naar het cellichaam brengen;
Cel van Schwann produceert myeline.
• een : een uitloper die heel lang kan zijn en die alleen op het uiteinde vertakt is. Het uiteinde van elke vertakking is verbreed, de eindknopjes. Het axon kan omgeven zijn met , dat ter hoogte van de onderbroken is. Het axon leidt informatie van het cellichaam naar andere cellen.
Een zenuw kan verschillende types neuronen bevatten.
Soorten neuronen volgens richting van de impuls:
• : geleiden impulsen van een receptor naar het centrale zenuwstelsel.
• : geleiden impulsen vanuit het centrale zenuwstelsel naar effectoren.
• : geleiden impulsen tussen diverse neuronen binnen het centrale zenuwstelsel.
schakelneuron
sensorisch neuron
motorisch neuron receptor effector
Zenuwen zijn opgebouwd uit lange uitlopers van sensorische en motorische neuronen en met . Dankzij zenuwen kunnen er gelijktijdig meerdere tussen vele receptoren, verwerkingscentra en effectoren verstuurd worden.
3 Wat is het verschil tussen zenuwcellen en zenuwen?
Een zenuw is een bundel van lange uitlopers van verschillende zenuwcellen. Daarin zitten ook bloedvaten die de neuronen voorzien van voedingstoffen en zuurstofgas. De bundel van uitlopers wordt samengehouden en beschermd door bindweefsel.
Op basis van de ligging, functie en aanwezige structuren deelt men de zenuwen in twee delen in: het centrale zenuwstelsel ligt centraal in het lichaam en wordt beschermd door wervels van de wervelkolom en de schedel. Het perifere zenuwstelsel loopt door het hele lichaam. De zenuwen ervan vervoeren impulsen van de receptoren naar het centrale zenuwstelsel en van daaruit naar de effectoren.
Centraal zenuwstelsel
functie Alle informatie van de receptoren wordt hier gecentraliseerd en .
zenuwbundel
bindweefselschede
axon of lang dendriet bloedvat
zenuw
ruggenmergvliezen
Perifeer zenuwstelsel
De bundels zenuwcellen of van het perifeer zenuwstelsel vormen de verbinding tussen het centrale zenuwstelsel en de wervel
buikzijde
JANOG OEFENEN
1 Begripskennis
• Ik kan de delen van een neuron benoemen en beschrijven
• Ik kan de onderdelen van het perifeer en centraal zenuwstelsel benoemen en aanduiden op een tekening.
• Ik kan de verschillende soorten neuronen benoemen en beschrijven.
• Ik kan verduidelijken wat het verschil is tussen een zenuwcel en een zenuw.
• Ik kan de onderdelen van een zenuw benoemen en aanduiden op een tekening.
` Je kunt deze checklist ook op invullen bij je portfolio.
Eigen notities
Hoe noem je de lange uitloper van een neuron die de actiepotentialen geleidt?
Plaats in elke cirkel het juiste nummer. Kies uit: zenuwvezel (1), zenuwbundel (2), bindweefselschede (3), zenuw (4), bloedvat (5).
Noteer in de tabel de delen van het centraal en perifeer zenuwstelsel. Zet dan het nummer op de juiste plaats bij de figuur.
Kleur op de figuur het ruggenmerg rood, de grensstrengen groen, en de ruggenmergzenuwen blauw. 4
buikzijde
ruggenmergvliezen
rugzijde
` Verder oefenen? Ga naar .
wervel
LEERDOELEN
Je kunt al:

L uitleggen welke soorten receptoren er zijn;
L uitleggen hoe een prikkel de receptor activeert;
L de rol van conductoren beschrijven.
Je leert nu:
L hoe de geleiding en overdracht van informatie gebeurt in en tussen neuronen;
L hoe het doorgeven van een impuls een samenwerking is tussen een elektrisch en een chemisch proces.
In het vorige hoofdstuk bekeken we de onderdelen van het zenuwstelsel. Die onderdelen moeten samenwerken om ons lichaam te laten reageren op een prikkel. Ook personen met een bionische arm of been kunnen bijvoorbeeld door die samenwerking net zo goed een radslag uitvoeren. Ook zij controleren en sturen vanuit hun wil bewegingen aan, maar zij sturen hun impulsen naar hun elektronische robotarm of -been. Hoe doen ze dat juist? In dit hoofdstuk bestuderen we de mogelijke wegen die een impuls aflegt.
Receptoren bevinden zich vaak op een grote afstand van de verwerkingscentra. De afstand van je ogen en gehoororgaan tot de hersenen is niet zo groot, maar van de receptoren in de huid van je tenen naar het ruggenmerg of de hersenen bedraagt toch minstens één meter. En bij sommige dieren is die afstand nog veel groter.

OPDRACHT 4
Bekijk de video en beantwoord de vragen.
1 Wat gebeurt er als er een flinke tik wordt gegeven tegen de eerste dominosteen?
BEKIJK DE VIDEO
2 De handeling wordt verschillende keren uitgevoerd. Vallen alle stenen even snel?
3 Is het mogelijk de stenen in de andere richting te doen omvallen?
4 Wat gebeurt er als een lichte tik gegeven wordt tegen de eerste steen?
5 Wat gebeurt er als er enkele stenen in het midden verwijderd worden?
S Afb. 124
Acht identieke dominostenen worden op een lat vastgekleefd met dunne plakband. De blokjes staan op een vaste afstand van elkaar.
Een ion is een atoom dat positief geladen is doordat het een of meerdere elektronen heeft afgestaan of negatief geladen doordat het een of meerdere elektronen heeft opgenomen.
Net zoals je voldoende hard moest duwen tegen de eerste dominosteen om die te doen omvallen, kan het neuron pas informatie doorgeven wanneer toekomende informatie een voldoende grote verandering veroorzaakt. De toekomende informatie verstoort een rusttoestand in het neuron en er ontstaat een signaal, de impuls. Die impuls plant zich als een kettingreactie met een constante snelheid voort doorheen het axon. Dat is de impulsgeleiding
Bij alle cellen is het celmembraan elektrisch geladen door de aanwezigheid van elektrisch geladen deeltjes of ionen aan weerszijden van het celmembraan. Sommige deeltjes zijn positief geladen, andere zijn negatief geladen. We stellen ze voor als plustekens en mintekens. Die deeltjes kunnen zich door het celmembraan verplaatsen via kleine openingen die we kanalen noemen. Die kanalen kunnen open- of dichtgaan.
Bij een zenuwcel in rust zijn de positieve ionen niet gelijk verdeeld tussen de binnenzijde en de buitenzijde van de cel. Omdat aan de buitenzijde van het neuron meer positieve ionen zitten dan binnen in het neuron, is er een ladingsverschil. De buitenzijde is positief geladen ten opzichte van de binnenzijde.
–70 millivolt buitenzijde
celmembraan
binnenzijde
1,5-Volt
gesloten kanaal
W Afb. 125 Tussen de buiten- en binnenzijde van het celmembraan is er een ladingsverschil.
Ook in een batterij is de ene zijde meer positief dan de andere, waardoor er een plus- en een min-pool ontstaan. Wanneer je een voltmeter op de polen van een batterij aansluit, meet je een spanning van bijvoorbeeld 1,5 Volt over de batterij. Dat betekent dat de batterij in een ‘spannende’ situatie zit. Er is een energieverschil tussen de polen: de batterij kan energie leveren door een stroom te laten vloeien. Daarbij verplaatsen zich ladingen van de ene pool van de batterij naar de andere (doorheen een stroomkring). Die waarde van 1,5 Volt vertelt je hoeveel ladingsverschil er is tussen de ene pool en de andere.
Ook bij het neuron veroorzaakt het verschil in lading tussen binnenzijde en buitenzijde een elektrische spanning over het celmembraan. Die spanning noem je de membraanpotentiaal
In rust zijn de kanaaltjes in het celmembraan gesloten, maar als er een signaal bij het neuron toekomt, gaan de kanaaltjes in het celmembraan open en kunnen positief geladen deeltjes naar binnen in het axon. Er zullen op die plek nu meer positief geladen deeltjes aan de binnenzijde van het axon zitten dan aan de buitenzijde. Daardoor verandert het ladingsverschil tussen binnenzijde en buitenzijde.
S Afb. 126
kanaaltjes open kanaaltjes gesloten
Ionkanaaltjes in het membraan van het axon
Je kunt dat vergelijken met het verminderen van de spanning tussen de twee tegengestelde polen van een batterij. Als die batterij ladingen van de ene naar de andere pool laat stromen, wordt het ladingsverschil kleiner (de batterij ontlaadt).
Net zoals in een werkende stroomkring met een batterij stromen er geladen deeltjes
Je kunt het verplaatsen van de impuls vergelijken met vallende dominostenen: elke steen duwt de volgende om maar nooit de vorige.
Wanneer het signaal boven de prikkeldrempel komt, zullen er zoveel positief geladen deeltjes verplaatsen, dat er een impuls gevormd wordt: een elektrisch signaal omdat het ontstaat door de verplaatsing van geladen deeltjes of ionen.
De plaatselijke ladingsverandering is maar van korte duur. Na het passeren van de impuls verplaatsen alle positieve ionen zich terug naar de buitenzijde van het axon, zodat de oorspronkelijke ladingsverdeling zich herstelt.
De buitenzijde wordt weer positief geladen, de binnenzijde negatief. Daarna is het axon gedurende een zeer korte tijd ongevoelig op die plaats.
De plaatselijke ladingsverandering ter hoogte van het celmembraan wordt bijzonder snel voort geleid vanaf het cellichaam over de hele lengte van het axon. Dat komt omdat de plaatselijke in- en uitstroom van ionen op één plek (plaats 1) ervoor zorgt dat ook de nabijgelegen ionen (plaats 2) zich verplaatsen. Daardoor neemt het potentiaalverschil op de nieuwe plaats af.
Zodra ook daar de prikkeldrempel wordt bereikt, gaan de kanaaltjes
De verplaatsing van dat elektrisch signaal doorheen het neuron noemen we de impulsgeleiding
kanaaltjes open kanaaltjes ook open
4 kanaaltjes gesloten
S Afb. 127
Neuron in actiefase
A Vorming van een impuls langs het celmembraan ter hoogte van een axon
B Dwarsdoorsnede van een axon met ladingstoestand in de rustfase en de actiefase
Een neuron in rust, heeft een ongelijke verdeling van ionen binnen en buiten de cel, waardoor de binnenzijde van het membraan negatief geladen is ten opzichte van de buitenzijde. Wanneer een signaal toekomt aan een neuron, wordt die rust verstoord en verandert het ladingsverschil. Als de prikkel sterk genoeg is en het ladingsverschil de prikkeldrempelwaarde bereikt, ontstaat er een impuls. Op die plaats ontstaat er een omkering: de binnenzijde van het celmembraan wordt positief ten opzichte van de buitenzijde. Tijdens de herstelfase worden alle positieve ionen weer naar hun originele plek gebracht. De oorspronkelijke ladingsverdeling herstelt zich. Tijdens de herstelfase is het membraan tijdelijk ongevoelig voor een nieuw signaal.
Elke verandering in lading doet een ladingsverandering in de naastliggende zone ontstaan. De impulsgeleiding is het stapsgewijs openen van kanaaltjes over het axon. De informatie van een prikkel verplaatst zich in de vorm van een elektrisch signaal, de impuls. Die impulsgeleiding loopt steeds in dezelfde richting door het axon, namelijk van het cellichaam naar de eindknopjes.
2 Hoe wordt de snelheid van de impulsgeleiding verhoogd?
OPDRACHT 5
Hoe wordt de snelheid van de impulsgeleiding verhoogd? Bekijk de video en beantwoord de vragen.
Waarneming
Besluit
Elektrische signalen verplaatsen zich doorheen zenuwcellen. Dat dit snel gaat, heb je wellicht al eens aan den lijve ondervonden: bij een luide knal duik je ineen, of bij het aanraken van een gloeiend heet voorwerp trek je je hand bliksemsnel terug.
dendrieten

Net zoals bij de dominostenen, kan de snelheid van de impulsgeleiding verhoogd worden door sprongen te maken over het axon. Het axon kan omgeven zijn door een isolerende myelineschede. Die myelineschede wordt op regelmatige plaatsen onderbroken en die onderbrekingen worden de insnoeringen of knopen van Ranvier genoemd.
knopen van Ranvier
cellichaam axon myelineschede eindknopjes
VERGELIJK DE GELEIDINGSSNELHEID
De ionen kunnen alleen ter hoogte van de insnoeringen van Ranvier doorheen het membraan passeren. De ladingsverandering verplaatst zich dan van insnoering naar insnoering. We spreken van een sprongsgewijze impulsgeleiding.
De impulsgeleiding gaat daardoor veel sneller dan bij axonen zonder myelineschede, tot 150 m/s. Op die manier kan een blauwe vinvis – het grootste zoogdier op onze planeet – zijn staart bewegen zodra hij iets hoort of ziet, ook al ligt de staart op bijna 25 meter van de kop.
cellichaam
ladingsverandering

0,5 tot 10 m/s
100 tot 150 m/s ongemyeliniseerd axon
gemyeliniseerd axon
ladingsverandering insnoering van Ranvier
depolarisatie myelineschede

cellichaam
S Afb. 130
Dankzij de myelineschede verloopt de impulsgeleiding veel sneller dan bij een ongemyeliniseerd axon.
De snelheid van de impulsgeleiding bij gemyeliniseerde axonen is veel hoger dan bij niet-gemyeliniseerde axonen. Bij gemyeliniseerde axonen gebeurt de impulsgeleiding sprongsgewijs
` Maak oefening 1 en 2 op p. 318.
OPDRACHT 6 ONDERZOEK
Hoe snel reageer je op kleurverandering van een verkeerslicht?
Bekijk het labo bij het onlinelesmateriaal.
Als de impulsgeleiding verstoord is: multiple sclerose.
Myeline (oranje) vormt een isolatielaag rondom de uitloper van de zenuwcel (grijs). Daardoor verplaatst de ladingsverandering zich sneller en kan dus ook de impulsgeleiding snel verlopen.
Door afbraak van de myeline wordt de impulsgeleiding steeds slechter. Dat leidt tot het ontstaan van klachten.
Als de myeline vrijwel volledig is afgebroken, zal helemaal geen signaaloverdracht meer kunnen plaatsvinden.
Zowat 12 000 mensen in ons land lijden aan multiple sclerose (MS). Dat is een chronische auto-immuunziekte: afweercellen van het lichaam tasten de myelineschede rond axonen in de centrale verwerkingscentra (de hersenen en het ruggenmerg) aan. Daardoor wordt de impulsgeleiding doorheen het axon ernstig verstoord of zelfs verhinderd, waardoor allerhande uitvalsverschijnselen optreden: krachtverlies, blindheid, geheugenproblemen, coördinatiestoornissen enzovoort.
De oorzaak van de ziekte is onbekend. Er is voorlopig nog geen behandeling die MS kan genezen, maar er wordt vooruitgang geboekt in de strijd tegen de ziekte. In 2019 hebben wetenschappers een stof ontwikkeld die bij muizen de groei stimuleert van cellen die een nieuwe myelineschede rond axonen kunnen aanbrengen. Men hoopt nu die stof aan te kunnen passen, zodat ze ook werkzaam is bij mensen.
Je kon in de tekst lezen dat de myelineschede wordt beschadigd of onderbroken is. Het gevolg daarvan voor de werking van het organisme is dat de impulsen verzwakt zijn wanneer ze de doelorganen (weefsels) bereiken.
Als je de weg van de impuls bij de baseballspeler bestudeert, stel je vast dat receptoren, neuronen en effectoren met elkaar in verbinding staan. Die cellen moeten dus in staat zijn om impulsen aan elkaar over te dragen. De impulsoverdracht gebeurt ter hoogte van de eindknopjes van het axon, die dicht tegen de dendrieten of het cellichaam van een ander neuron liggen. Die zone noemen we de synaps
De meeste synapsen zijn chemische synapsen. Tussen het membraan van het eindknopje van het axon en de volgende cel ligt een zeer smalle ruimte (ongeveer 20 nanometer): de synaptische spleet. Het eindknopje van het axon bevat talrijke synaptische blaasjes die vol zitten met boodschappermoleculen of neurotransmitters. Wanneer een ladingsverandering aankomt in het eindknopje, verplaatsen de blaasjes zich naar de membranen van de eindknopjes. Daar barsten ze open en storten hun inhoud uit in de synaptische spleet. Als de neurotransmitters zich verspreiden, komen ze op het membraan van de volgende cel terecht, waar ze zich binden aan specifieke membraanreceptoren. De membraanreceptoren wijzigen, of de kanaaltjes gaan open, waardoor ionen door de celmembraan kunnen. Er ontstaat dan in de aansluitende cel een ladingsverandering of impuls. De overdracht van een impuls van cel naar cel noemen we neurotransmissie
synaps eindknopjes axon
celmembraan
celmembraan synaptisch blaasje
elektrisch signaal
S Afb. 131 Neuron in actiefase
synaptische spleet
membraanreceptor chemisch signaal elektrisch signaal
A Vorming van een impuls langs het celmembraan ter hoogte van een axon
B Dwarsdoorsnede van een axon met ladingstoestand in de rustfase en de actiefase
We bespreken later de impulsoverdracht tussen een neuron en een spier- of kliercel.
Bij een chemische synaps wordt een elektrisch signaal dus omgezet in een chemisch signaal. Neurotransmitters brengen de boodschap over van het ene neuron naar de volgende cel.
Zodra het signaal werd overgedragen, moeten de neurotransmitters verwijderd worden uit de synaptische spleet. Het verwijderen van de neurotransmitters kan gebeuren door ze af te breken of terug in de cel op te nemen. De impulsoverdacht tussen een receptor en een neuron en tussen een neuron en een spier- of kliercel, verloopt op een vergelijkbare manier.
De impulsoverdracht in de synaps kan beinvloed worden, bijvoorbeeld door drugs of gifstoffen. Die stoffen stimuleren of verhinderen het aankomen van een impuls bij de volgende zenuwcel.
WEETJE
Drugs zijn stoffen die inwerken op de neurotransmissie binnen de synapsen. Dat kan tijdelijk aangenaam aanvoelen, waardoor ze verslavend zijn. We spreken daarom ook van genotsmiddelen. De moleculen van drugs worden net als neurotransmitters herkend door membraanreceptoren en kunnen de impulsoverdracht remmen of stimuleren. Zo is alcohol een voorbeeld van een stof met een remmende werking op de impulsgeleiding. Als je te veel alcohol gedronken hebt, kun je niet meer goed spreken en kun je ook problemen hebben met je evenwicht of zicht. Er zijn daarom heel wat sensibiliseringscampagnes rond drugs en alcohol in het verkeer.
stimulerende stof membraanreceptor
eindknopje
synaptisch blaasje
impuls remmende stof
dopamine
synaptische spleet
dendriet
neurotransmitter
Stimulerende stoffen verhogen de afgifte van dopamine. Meer dopamine verhoogt het gevoel van geluk en stimuleert de controle over bewegingen.
Remmende stoffen zorgen dat de neurotransmitter langer aanwezig blijft en dus langer kan werken. Dopamine en andere neurotransmitters hebben dan een langduriger en groter effect.
W Afb. 132 De stimulerende werking van drugs zoals amfetamine (links) en de remmende werking van drugs zoals cocaïne (rechts)
OPDRACHT 7 DOORDENKER
Je neemt een pijnstiller als je ondraaglijke pijn wilt bestrijden. Hoe kun je de werking van een pijnstiller in verband brengen met de stimulerende en remmende werking van bepaalde stoffen in een synaps?

De impulsoverdracht is het doorgeven van informatie tussen cellen. Dat gebeurt ter hoogte van de synaps. Bij een chemische synaps vormen de neurotransmitters een chemisch signaal. Neurotransmitters zijn immers chemische stoffen.
Die impulsoverdracht gebeurt in verschillende stappen:
1 De impuls bereikt de eindknopjes van het axon.
2 Neurotransmitters komen vrij uit de synaptische blaasjes in de synaptische spleet.
3 De neurotransmitter bindt met een membraanreceptor van de volgende cel en wijzigt zo de membraaneigenschappen.
4 Ionen stromen naar binnen en veranderen de membraanpotentiaal. Er ontstaat een nieuwe ladingsverandering in de volgende cel, de impuls is overgedragen.
Het doorgeven van informatie doorheen en tussen neuronen steunt daarmee op de samenwerking van elektrische processen doorheen de neuronen en chemische processen tussen de neuronen.
` Maak oefening 3 t/m 5 op p. 318-319.
1 Hoe gebeurt de geleiding van informatie in een zenuwcel?
De informatieoverdracht is de geleiding van informatie van receptor tot effector. De zenuwcellen of neuronen brengen informatie van de receptoren naar de verwerkingscentra en van daaruit naar de effectoren.
Impulsgeleiding in fasen:
Binnen een zenuwcel, wordt de informatie overgedragen via een signaal:
geladen deeltjes verplaatsen zich van buiten het membraan naar binnen, waardoor het ladingsverschil verandert. Die verandering wordt doorgegeven doorheen gans het axon. Die voorplanting van het signaal noemen we de . De verplaatsing van het signaal van cellichaam, over axon, naar de eindknopjes noemen we

Hoe wordt
Als het axon omgeven is door myeline, verplaatst de impuls zich , waardoor de impuls zich veel sneller doorheen het neuron verplaatst dan wanneer het axon niet gemyeliniseerd is.
Myeline (oranje) vormt een isolatielaag rondom de uitloper van de zenuwcel (grijs). Daardoor verplaatst de ladingsverandering zich sneller en kan dus ook de impulsgeleiding snel verlopen.
Door afbraak van de myeline wordt de impulsgeleiding steeds slechter. Dat leidt tot het ontstaan van klachten.
Als de myeline vrijwel volledig is afgebroken, zal helemaal geen signaaloverdracht meer kunnen plaatsvinden.
Ter hoogte van de synaps eindigt het axon en wordt de informatie overgedragen naar de volgende cel.
Dat is de . Bij een chemische synaps wordt een signaal omgezet in een signaal. die worden afgegeven in de synaptische spleet, wijzigen de membraaneigenschappen van de volgende cel en doen er een impuls ontstaan.
celmembraan
synaps eindknopjes axon
membraanreceptor
celmembraan synaptisch blaasje
elektrisch signaal
neuron 1
dendriet synaptische spleet
chemisch signaal
elektrisch signaal
neuron 2
Begripskennis
• Ik kan beschrijven hoe neuronen informatie over een grote afstand doorgeven.
• Ik kan de rol van myeline in verband brengen met de snelheid van impulsgeleiding.
• Ik kan beschrijven hoe een elektrisch signaal van een cel wordt overgedragen naar een andere cel.
` Je kunt deze checklist ook op invullen bij je portfolio.
Mijn notities
Wat is een gevolg van het afbreken van de myelineschede?
Duid met pijlen aan op welke manier de impuls langs een gemyeliniseerde zenuwvezel wordt geleid.
a Vergelijk die verplaatsing met de impulsgeleiding in een niet-gemyeliniseerd neuron. Schrap wat niet past.
In een niet-gemyeliniseerd neuron gebeurt de verplaatsing trager / sneller.
b Waar precies op de figuur kan een ladingsverschil ontstaan? Beschrijf.
c Hoe verklaar je dat de impuls sneller geleid wordt in een gemyeliniseerd neuron dan in een nietgemyeliniseerd neuron?
Duid op de tekening de begrippen uit de tabel aan met hun nummer. Sommige nummers kun je twee keer invullen.
1 membraanreceptor
2 neurotransmitter
3 axon
4 synaptische spleet
5 celmembraan
6neurotransmissie
7eindknopje
8synaptisch blaasje
9dendriet
10impuls
Op welke manier kan de impulsgeleiding verstoord worden ter hoogte van een chemische synaps?
Waarom kunnen drugs een invloed hebben op neurotransmissie?
` Verder oefenen? Ga naar .
LEERDOELEN
Je kunt al:
L uitleggen uit welke delen het zenuwstelsel is opgebouwd;
L de bouw van een neuron toelichten;
L de soorten neuronen van elkaar onderscheiden.
Je leert nu:
L het verschil tussen een reflex en een gewilde beweging uitleggen.

Je leerde al langs welke zenuwen informatie tussen receptor, centrale zenuwstelsel en effector worden doorgegeven. Maar wat doet het centrale zenuwstelsel precies? Komt het tussen bij elke reactie op een prikkel? En hoe werkt het? Gebeurt de regeling van bijvoorbeeld de pupilreflex op dezelfde manier als het gooien van een bal?
1 Wat is het verschil tussen een gewilde beweging en een reflex?
OPDRACHT 8
Onderzoek de verschillen in impulstraject voor een reflex en een gewilde beweging. Bestudeer daarvoor de figuren en vul de tabel aan.
Een bal hard wegtrappen
schakelneuronen in de functionele zone voor gewilde beweging rechterhemisfeer
Terugtrekreflex na contact met glas
pijnreceptor in huid
S Afb 133
Terugtrekreflex sensorisch neuron
motorisch ruggenmergneuron
bovenste dijspier
W Afb 134
Impulstraject of zenuwbaan bij een bewuste / gewilde beweging
bal wegtrappen met linkervoet
OPDRACHT 8 (VERVOLG)
Terugtrekreflex na contact met glas Een bal hard wegtrappen
startpunt van de eerste impuls
prikkel receptor impulsgeleiding
Drie na elkaar geschakelde neuronen: •
Nadat je een bal zag liggen (een bewuste gewaarwording), wil je hem hard wegtrappen. Die gedachte heb je eerst gemaakt in de schakelneuronen van de grote hersenen, waarna een impuls vertrekt vanuit je verwerkingscentra in de hersenen.
Twee na elkaar geschakelde neuronen:
• motorisch neuron tussen •
effector spieren van de dijspieren spieren van de dijspieren
reactie je voet terugtrekken
impulstraject bij een reflex
prikkel
receptor
impulsgeleiding via sensorisch neuron
schakelneuron in ruggenmerg
impulsgeleiding via motorisch neuron
effector
reactie
impulstraject bij gewilde beweging
beslissing in de hersenen
schakelneuronen in de hersenen en ruggenmerg
effector impulsgeleiding via motorisch neuron
reactie
Een reflex is een snelle en onbewuste reactie op een prikkel. Bij een reflex is het impulstraject vaak heel kort. Daardoor kan de effector snel reageren. Reflexen helpen daarbij gevaarlijke situaties te vermijden of je lichaam te beschermen. Omdat het hersendeel voor bewuste gewaarwording niet betrokken is bij die regeling, verloopt de reflex onbewust en automatisch Soms wordt de informatie alsnog naar de hersenen gestuurd.
Een reflexboog is het regelsysteem dat een reflex coördineert. Het impulstraject bestaat uit: een receptor, een sensorisch neuron, een motorisch neuron en de effector. Soms is ook een schakelneuron betrokken.
Bij een gewilde beweging kan er eerst een impuls aankomen in je grote hersenen, maar je kunt ook bewust beslissen om een actie uit te voeren. Schakelneuronen in een neuraal netwerk doen een nieuwe impuls ontstaan. Die wordt via motorische neuronen naar de effectoren geleid. Een gewilde beweging volgt vaak, maar niet altijd, op een bewuste gewaarwording. Je bent je bewust van een prikkel wanneer de informatie over die prikkel in het hersendeel voor bewuste gewaarwording verzameld en verwerkt wordt.
Een impulstraject voor een reflex verloopt via een receptor. De impuls verplaats zich via een reflexboog: dat is een aaneenschakeling van sensorische neuronen, soms schakelneuronen, en motorische neuronen die zorgt voor een snelle reactie. Je wordt je vaak pas bewust van de beweging, nadat de reflex al voltooid werd.
Het impulstraject voor een gewilde beweging vertrekt vanuit een verwerkingscentrum in de grote hersenen. De impuls verplaatst zich via motorische neuronen tot aan de spieren.
Je bent je bewust van je wil tot bewegen. Meestal, maar niet altijd, is dat een gevolg van een voorafgaande bewuste gewaarwording.
Een gewilde beweging kan volgen op een bewuste gewaarwording, of kan in de hersenen zelf ontstaan.
WEETJE
Heel vaak onderzoekt een arts je met een kniepeesreflextest. Daarbij slaat hij of zij onverwacht met een hamertje op je kniepees (onder je knieschijf). Die stevige structuur, die de verbinding vormt tussen je bot en je bovenste dijspieren, wordt met een tik ingedrukt, waardoor ook je bovenste dijspieren plots verlengen. Als alles goed werkt, zou je daardoor een strekreflex moeten vertonen. Als dat niet het geval is, dan zou dat een indicatie kunnen zijn voor een hernia.
kniepees linkerquadriceps
Een pasgeboren baby heeft nog niet de tijd gehad om iets te kunnen leren. Toch is hij in staat om op bepaalde prikkels te reageren. Die reacties zijn aangeboren reflexen zoals de zuigreflex, slikreflex, loopreflex, grijpreflex, schrikreflex, voetzoolreflex … Die reflexen zijn noodzakelijk voor het overleven van de pasgeboren baby.
De aangeboren reflexen verdwijnen geleidelijk tijdens de motorische ontwikkeling van de baby gedurende het eerste levensjaar. Dat komt door de ontwikkeling van de hersenen en de zenuwbanen. De baby krijgt steeds meer willekeurige controle over zijn lichaamsbewegingen waardoor die reflexbewegingen geleidelijk verdwijnen en door bewuste gedragingen vervangen worden. De slikreflex en de kokhalsreflex zijn twee aangeboren reflexen die nooit verdwijnen.



Hersenwetenschappers ontdekten al dat verschillende delen van de hersenen een verschillende functie hebben. Verschillende grote groepen neuronen in je hersenen voeren dus telkens andere verwerkingsprocessen uit. Dat worden de verwerkingscentra in de hersenen genoemd. Toch ontdekken wetenschappers elke dag weer veel over de werking van de hersenen en hun verwerkingscentra.

voorhoofdslob
slaaplob
wandlob achterhoofdslob
linkerhemisfeerrechterhemisfeer
S Afb. 137
Bovenaanzicht en zijaanzicht van de grote hersenen
Het valt niet mee om met het blote oog duidelijk waarneembare delen van de hersenen te herkennen. Ook binnenin is het moeilijk onderscheid maken tussen de inwendige delen, laat staan dat je individuele verwerkingscentra zou kunnen onderscheiden.
voorhoofdslob
kleine hersenen hersenstam
ruggenmerg
S Afb. 138 Ligging en zijaanzicht van de hersenen
De grote hersenen liggen bovenaan je hersenen. Het is het deel met de talloze groeven en windingen. Ze bestaan uit twee hemisferen of hersenhelften, die onderling verbonden zijn via de hersenbalk. Elke hersenhelft is verdeeld in vier lobben: de frontale lob of voorhoofdslob, de wandlob met daaronder de slaaplob, en de achterhoofdslob.
Verstopt onder de grote hersenen zitten de tussenhersenen. In die tussenhersenen liggen onder andere de thalamus, de hypothalamus, en de hypofyse. Die drie delen maken hormonen aan: regelende stofjes die andere cellen in je lijf aan het werk zetten en getransporteerd worden via de bloedbaan.
tussenhersenen
hersenbalk
hypothalamus
hypofyse
grote hersenen
thalamus hersenstam
kleine hersenen W Afb. 139 Overlangse doorsnede van de hersenen
De hersenstam bevindt zich tussen de tussenhersenen en het ruggenmerg.
De kleine hersenen ten slotte, liggen achteraan onder de grote hersenen. Ook die bestaan uit twee hemisferen.
In al die hersendelen komen meerdere verwerkingscentra voor.
Je hersenen bestaan uit vier waarneembare hersendelen: de grote hersenen, de tussenhersenen, de hersenstam en de kleine hersenen. Die bevatten elk diverse verwerkingscentra. Een verwerkingscentrum is een grote groep neuronen die een belangrijk verwerkingsproces van je lichaam reguleert.
Je hersenen zijn een verwerkingscentrum. Een verwerkingscentrum beoordeelt informatie over een opgevangen prikkel en beslist welke reactie uitgevoerd zal worden.
` Maak oefening 1 t/m 3 op p. 329.
Maak jezelf slimmer!
Wanneer je vaak je leerstof herhaalt bij het studeren, zorg je voor stevigere communicatie tussen je neuronen en onthoud je leerstof makkelijker. Dat komt omdat neuronen voortdurend nieuwe dendrieten aanmaken. Die dendrieten groeien in je hersenen alle kanten op. Wanneer er daardoor plots een nieuwe plek voor impulsoverdracht tussen twee neuronen gecreëerd wordt, zal die communicatieplek tussen die neuronen steviger gebouwd worden naarmate ze vaker gebruikt wordt. Vaker herhalen, betekent dus netwerken tussen neuronen verstevigen en dus ook beter onthouden.

OPDRACHT 9 ONDERZOEK VERDIEPING
Wil je nog andere aandoeningen van het zenuwstelsel ontdekken?
Voer het labo bij het onlinelesmateriaal uit.
1 Wat is het verschil tussen een gewilde beweging en een reflex?
Gewilde beweging Reflex
Impulstraject
impulstraject bij gewilde beweging
beslissing in de hersenen
schakelneuronen in de hersenen en ruggenmerg
impulsgeleiding via motorisch neuron
effector
reactie
Verwerking • Verwerkingscentra voor gewenste bewegingen in de grote hersenen
impulstraject bij een reflex
impulsgeleiding via sensorisch neuron prikkel
receptor schakelneuron in ruggenmerg
impulsgeleiding via motorisch neuron
effector
reactie
Automatisch / Bewust
De impuls voor de gewenste beweging vertrekt vanuit schakelneuronen van de verwerkingscentra voor gewilde bewegingen in de
• Vaak zonder verwerking, rechtstreekse impulsgeleiding naar de
bv. bij de strekreflex
• Soms verwerking in de
van het ruggenmerg of de hersenen, bv. bij de terugtrekreflex of pupilreflex
Snelheid reactie
sneller / trager want kort / langer impulstraject
De schakelneuronen van de verwerkingscentra voor bewuste gewaarwording in de zijn niet
betrokken bij het impulstraject.
sneller / trager want kort / langer impulstraject
2 Hoe verwerkt het centraal zenuwstelsel de informatie van een prikkel?
Je hersenen bestaan uit meerdere waarneembare hersendelen: De waarneembare delen bevatten elk diverse verwerkingscentra. Een verwerkingscentrum is een grote groep die een belangrijk van je lichaam reguleert.
Je hersenen zijn een verwerkingscentrum. Een verwerkingscentrum informatie over een door het lichaam opgevangen en welke reactie uitgevoerd zal worden. Vaak gebeuren beide processen .
Mijn notities
JANOG OEFENEN
Begripskennis
• Ik kan het impulstraject voor een gewilde beweging beschrijven.
• Ik kan voor een reflex en een gewilde beweging duiden wat de overeenkomsten en verschillen zijn.
` Je kunt deze checklist ook op invullen bij je portfolio.
Mijn notities
Als een kind een hete kookpot aanraakt, zal het zijn hand onmiddellijk terugtrekken.
Vul de opeenvolgende stappen van de reflexboog bij die terugtrekreflex aan.
in de huid
neuron doorheen je arm
schakelneuron in het ruggenmerg
neuron in het ruggenmerg
in de bovenarm (biceps)
samentrekking van de bovenarmspieren (biceps)
Zet de stappen van de reflexboog van de kniepeesreflex in de correcte volgorde. Nummer ze van 1 tot 5.
Impulsgeleiding in sensorisch neuron
De bovenste dijspieren trekken samen.
Mechanoreceptoren van de bovenste dijspieren vormen een impuls.
Impulsgeleiding in motorisch neuron
De bovenste dijspieren rekken
Vul op de figuur de hersenstructuren aan met hun nummer uit de tabel.
1kleine hersenen
2ruggenmerg
3hersenbalk
4grote hersenen
` Verder oefenen? Ga naar .
LEERDOELEN
Je kunt al:
L verduidelijken dat conductoren of geleiders informatie overbrengen tussen receptor en effector;
L de rol van receptor, geleider en effector toelichten en voorbeelden geven;
L omschrijven wat een inwendige prikkel is;

L verduidelijken dat het zenuwstelsel de reacties op veranderende omstandigheden kan coördineren.
Je leert nu:
L dat hormonen signaalstoffen zijn die zorgen voor het geleiden van informatie;
L de bouw en de werking van een endocriene klier beschrijven;
L belangrijke endocriene klieren en hun hormonen opsommen;
L beschrijven welke prikkels het hormonale stelsel activeren;
L verklaren hoe hormonen na transport doorheen de bloedbaan slechts welbepaalde effectoren activeren.
1
OPDRACHT 10
Lees de tekst en beantwoord de vragen.
In module 4 maakte je kennis met zowel uitwendige als inwendige prikkels. Bij inwendige prikkels kun je denken aan een plotse verhoging van de hoeveelheid zuurstofgas O2 in je bloed, aan pijnlijke maandstonden of aan het spontane gevoel van verliefdheid wanneer je die knappe jongen of dat interessante meisje tegenkomt. Hoe dan ook, in die drie gevallen zijn het hormonen die door je lichaam razen. Maar welke prikkels zetten het hormonale stelsel in gang? Wat zijn hormonen precies? Waar komen ze vandaan? Hoe regelen ze de werking van je lichaam?
Welke rol speelt het hormonale stelsel bij het overbrengen van informatie?

Op een leeftijd van dertien kun je heel wat verschillen merken in de lichaamsbouw van jongens en meisjes. Sommige meisjes zijn op dat moment een stuk groter dan jongens. Bij dat verschil in groei spelen stofwisselingshormonen en groeihormonen een belangrijke rol. Die stofwisselingshormonen regelen de omzetting van brandstoffen en bouwstoffen in nieuwe producten binnen in je lichaamscellen. Schildklierhormonen, zoals thyroxine, zijn stofwisselingshormonen; ze stimuleren de activiteiten van een cel. Zo verhogen die hormonen niet alleen de energieproductie in een cel, maar ook de celgroei en celvermeerdering.
OPDRACHT 10 (VERVOLG)
1 Verklaar nu zelf waarom er op dertienjarige leeftijd een verschil in lengte kan bestaan tussen jongens en meisjes.
2 Mensen met een hogere thyroxineproductie hebben het warmer. Leg uit waarom dat zo is.
3 Bij welk proces in ons lichaam speelt thyroxine bijgevolg ook een rol?
WEETJE
Hormonen zijn signaalstoffen. In ons lichaam tref je meerdere soorten hormonen aan, die allemaal een verschillend effect hebben. Het hormoon thyroxine, aangemaakt in de schildklier, stimuleert samen met groeihormonen dan weer de intensiteit van de stofwisseling en de celgroei. Als je lichaam meer thyroxine produceert, start de groei vroeger in de puberteit. Omdat thyroxine de celstofwisseling stimuleert, zal er ook meer energie vrijkomen in die cellen en krijg je het warmer.
Deze voorbeelden illustreren dat hormonen effectoren op verschillende plaatsen in je lichaam aan het werk zetten zodat een gepaste reactie kan volgen op een prikkel. Die chemische stoffen geleiden dus informatie en maken daarmee deel uit van regelsystemen in een organisme. Je kunt hormonen daarom beschouwen als geleiders of conductoren.

Onderzoek heeft uitgewezen dat het knuffelhormoon ‘oxytocine’ mensen met autisme socialer kan maken. In de test waren twee groepen samengesteld. De ene groep kreeg een neusspray zonder het knuffelhormoon, terwijl de andere groep een neusspray kreeg met het hormoon. Tijdens de test moesten beide groepen een balspel spelen op de computer. In het spel speelden ze tegen drie virtuele personen. De eerste virtuele persoon gooide de bal altijd terug, de tweede virtuele persoon gooide de bal nooit terug en de derde gooide de bal af en toe terug. Bij de groep die het knuffelhormoon niet had gekregen, maakte het niet uit naar welke persoon ze gooiden. De andere groep, die het hormoon wel toegediend kreeg via de neusspray, gooide de bal meer naar de eerste persoon. Dit experiment bewijst dat mensen met autisme die oxytocine krijgen, gevoeliger worden voor interactie.
Via hormonen of signaalstoffen wordt informatie in ons lichaam doorgegeven. Zij zorgen ervoor dat effectoren voor een gepaste reactie kunnen zorgen en dat verschillende processen in ons lichaam gecoördineerd worden. Hormonen geleiden informatie, ze fungeren als conductor
` Maak oefening 1 op p. 338.
2
vangen de prikkel op en hoe worden hormonen in het lichaam verspreid?
Een nuttig product, in dit geval een hormoon, dat in de kliercellen wordt gevormd, noem je ook wel een secreet. Endocriene klieren zorgen voor de afscheiding van nuttige stoffen: die afscheiding noemt men secretie
‘Endo’ betekent ‘naar binnen’.
De receptoren van het hormonale stelsel zijn kliercellen. Bij het opmerken van een prikkel scheiden ze stoffen af met een regelende werking, de hormonen
Die kliercellen vormen deze hormonen met bouwstoffen die uit het bloed worden gehaald. Dat is mogelijk dankzij het nauwe contact tussen de omgevende haarvaten en de kliercellen.
Vaak komen de kliercellen in groepjes voor. Klieren die hormonen afscheiden, brengen de gemaakte hormonen rechtstreeks in de bloedbaan. De stoffen worden dus afgescheiden in het inwendig milieu. Om die reden worden die klieren endocriene klieren genoemd.
kliercel


haarvat
OPDRACHT 11
Verken de ontdekplaat.
Ontdek de belangrijkste endocriene klieren en hun hormonen met beoogde effector,
afscheiding van hormoon
ONTDEKPLAAT HORMONEN en leer hoe ze bijdragen aan een goede lichaamswerking.
thymus schildklier bijschildklieren hypofyse hypothalamus
α- en β-cellen van de alvleesklier nier bijnier
eierstok teelballen
In het menselijk lichaam tref je verschillende endocriene klieren, zoals de hypofyse, de schildklier, de teelballen en eierstokken, de bijnieren, de thymus, de eilandjes van Langerhans ... Je leert enkele van die klieren verderop beter kennen. De bouw van een endocriene klier is aangepast aan zijn functie: het hormoon zo efficiënt mogelijk in de bloedbaan krijgen.
Endocriene klieren bevatten groepen cellen die inwendige prikkels kunnen opmerken. Het zijn dus receptoren. Je kunt ook stellen dat de endocriene klier de informatie van het opgevangen signaal verwerkt en ervoor zorgt dat er een bepaald hormoon wordt geproduceerd. Op die manier beschouwd is de endocriene klier een geleider of conductor. Maar de endocriene klier bevat ook de cellen die op een prikkel reageren door hormonen te produceren. Op die manier beschouwd heeft die klier de rol van effector
Welke rol de endocriene klier in het regelsysteem uitoefent, hangt dus af van de context waarin je het bekijkt. Je kunt daarom de endocriene klier tegelijk als receptor, conductor en effector beschouwen.
Endocriene klieren spelen een belangrijke rol in een regelsysteem. Ze bevatten kliercellen die als receptoren werken. Ze merken prikkels op en produceren hormonen die ze vervolgens via de omliggende haarvaten in de bloedbaan brengen.
Via het bloedvatenstelsel kunnen hormonen alle delen van het lichaam bereiken. Hormonen kunnen dus signalen overbrengen naar verafgelegen lichaamsdelen. Ze fungeren als geleiders of conductoren. Het transport van hormonen gebeurt eerder langzaam, de informatieoverdracht via deze stoffen gaat daarmee beduidend trager dan via het zenuwstelsel.
Hormonen blijven niet lang in het bloed aanwezig, maar worden in de lever afgebroken. In het regelsysteem kunnen endocriene klieren zowel als receptor, conductor en effector worden beschouwd.
• Ze bevatten kliercellen die als receptoren werken.
• Ze reageren op een signaal door hormonen aan te maken, die ze vervolgens via de omliggende haarvaten in de bloedbaan brengen en fungeren dus ook als effectoren.
• Ze verwerken en geleiden informatie van opgevangen signalen. Ze functioneren dus als conductoren.
` Maak oefening 2 en 3 op p. 338.
membraanreceptor 1 geactiveerd
membraanreceptor 2
hormoon
celkern
cytoplasma
membraanreceptor 3
celmembraan
S Afb. 144
Doelwitcel met drie verschillende membraanreceptoren
sleutel = hormoon
slot = membraanreceptor
correcte pasvorm
reactie in de doelwitcel zal volgen
S Afb. 145
Sleutel-slot-principe tussen hormoon en membraanreceptor
OPDRACHT 12
Verken de ontdekplaat.
Eenmaal opgenomen in je bloed worden hormonen naar alle plekken van je lichaam getransporteerd. Hoe is het mogelijk dat een welbepaald hormoon op de juiste plaats in het lichaam zijn signaalfunctie kan uitvoeren? Enkel wanneer een lichaamsdeel cellen bevat die gevoelig zijn voor een hormoon, kan het op het hormoon reageren en is het dus een effector. Die hormoongevoelige effectorcellen noemen we doelwitcellen
In het celmembraan van doelwitcellen komen membraanreceptoren voor. Dat zijn moleculen die precies passen op de moleculestructuur van een bepaald hormoon. Bestudeer even afbeelding 144. Alleen aan membraamreceptor 1 kan het gegeven hormoon binden en bij de doelwitcel een reactie uitlokken. Bij membraanreceptoren 2 en 3 horen hormonen met een andere moleculestructuur.
Vergelijk het hormoon met een sleutel die door zijn specifieke vorm in een welbepaald slot past. Wanneer een hormoon langs een celmembraan van een cel passeert, en op de membraanreceptor van de cel past, kan het daarmee binden en is dat een doelwitcel. Dat sleutel-slot-principe verklaart waarom hormonen slechts één of een zeer beperkt aantal effectoren kunnen aansturen: het hormoon moet op de membraanreceptor van de doelwitcel passen. Zodra die binding gerealiseerd is, wordt de doelwitcel geactiveerd en kan die op het hormoon reageren.
Gebruik de ontdekplaat om de doelcellen van een aantal belangrijke hormonen te ontdekken.
ONTDEKPLAAT HORMONEN
Een hormoon wordt geproduceerd door endocriene kliercellen en komt rechtstreeks in het bloed terecht. Via het bloedvatenstelsel kunnen hormonen alle delen van het lichaam bereiken.
Een hormoon zal pas een reactie uitlokken als bepaalde cellen daar gevoelig voor zijn. Het sleutelslot-principe verklaart waarom hormonen slechts bepaalde effectoren aansturen: het hormoon moet in de membraanreceptor van de doelwitcel passen. Men zegt dat een hormoon specifieke doelwitcellen heeft. Die doelwitcellen fungeren als effector en reageren op het hormoon.
` Maak oefening 4 op p. 338.
1 Welke rol speelt het hormonale stelsel bij het overbrengen van informatie?
Hormonen zijn signaalstoffen en geleiden informatie. Ze werken als conductoren of geleiders.
2 Welke receptoren vangen de prikkel op en hoe worden hormonen in het lichaam verspreid?
Endocriene klieren
Hormonen worden aangemaakt door kliercellen (die vaak samen gegroepeerd zitten in endocriene klieren).
Die kliercellen hebben twee functies: de prikkel opvangen (= receptorfunctie); reageren op de prikkel door hormonen aan te maken (= effectorfunctie).
Endocriene klieren worden omgeven door haarvaten en geven de hormonen rechtstreeks af aan de bloedbaan.
Hormonen zijn signaalstoffen en geleiden informatie. Ze werken als conductoren of geleiders.
kliercel afscheiding van hormoon haarvat
Hormonen worden geproduceerd in endocriene kliercellen en via het bloed getransporteerd door heel het lichaam. Doelwitcellen beschikken over speciale membraanreceptoren die precies op de moleculestructuur van het hormoon passen. Het sleutel-slotprincipe zorgt ervoor dat een hormoon de juiste membraanreceptor activeert.
membraanreceptor geactiveerd
3 Hoe veroorzaakt een hormoon een reactie? hormoon reactie endocriene kliercel bloedbaan doelwitcel
cytoplasma
membraanreceptor niet geactiveerd receptormolecule 3
sleutel = hormoonslot = receptormolecule correcte pasvormreactie in de doelwitcel zal volgen
Vraag
a Welke soort prikkels lokken een hormoonproductie uit?
b Welke cellen maken hormonen aan?
c Wat is het nut van de verspreiding van hormonen via de bloedbaan?
d Waarom zijn hormonen signaalstoffen?
e Waarom is een hormoon een geleider?
f Welke eigenschap hebben de cellen waarop een bepaald hormoon kan inwerken?
g Hoeveel soorten doelwitcellen heeft een hormoon?
h Hoeveel van een hormoon heb je nodig vooraleer je er een effect van voelt?
Kenmerken van hormonen
Antwoord
inwendige prikkels
Voorbeeld
verandering van concentratie van een stof
endocriene kliercellen of receptorcellen cellen in de schildklier
Hormonen kunnen zo alle delen van het lichaam bereiken.
Hormonen brengen de boodschap over.
Een hormoon vormt een schakel tussen receptor en effector.
Een doelwitcel bevat een passend receptormolecule voor een specifiek hormoon.
een beperkt aantal of soms maar één
Hormonen werken in heel lage dosissen.
thyroxine
Thyroxine stimuleert de intensiteit van de stofwisseling.
Epo geleidt informatie tussen de niercellen en het beenmerg.
Beenmergcellen zijn gevoelig voor epo. Ze zullen rode bloedcellen gaan aanmaken.
Adrenaline werkt in op het bloedvatenstelsel, op de spieren, op de hersenen.
Een hormoondosis van 0,023 tot 0,04 mg zorgt ervoor dat een eisprong bij een meisje verhinderd wordt (anticonceptie).
JANOG OEFENEN
Begripskennis
• Ik kan omschrijven hoe en door welke prikkels het hormonale stelsel geactiveerd wordt.
• Ik kan verduidelijken waarom een hormoon een geleider vormt tussen receptor en effector.
• Ik kan de bouw en de werking van een endocriene klier toelichten.
• Ik kan verduidelijken hoe de verspreiding van hormonen in het lichaam gebeurt en de belangrijkste kenmerken van die verspreiding benoemen.
• Ik kan verklaren hoe hormonen na transport doorheen de bloedbaan slechts welbepaalde effectoren activeren.
` Je kunt deze checklist ook op invullen bij je portfolio.
Mijn notities
Het hormonale stelsel vervult de rol van conductor.
a Verklaar deze stelling.
b Als je ergens geklemd zit, kun je heel veel kracht opbrengen om je te bevrijden. Illustreer in dit voorbeeld de rol van het hormonale stelsel als conductor.
Zijn de volgende beweringen over hormonen waar of niet waar? Zet een kruisje in de juiste kolom.
Waar Niet waar
Sommige hormonen worden aan het uitwendig milieu afgegeven.
In het bloed van je voeten komen hormonen voor.
Als je een klierproduct als een hormoon wilt beschouwen, dan moet dat product op een andere plaats actief zijn dan waar het is gevormd.
Is de volgende bewering waar of niet waar? Motiveer je antwoord. Hoe hoger het gehalte aan een bepaald hormoon in het bloed, hoe groter het effect.
Vrouwen die niet zwanger geraken, laten zich soms met hormooninjecties behandelen, waardoor de vruchtbaarheid wordt hersteld. Waar in het lichaam worden die injecties toegediend?
Kruis de juiste stelling aan. in de baarmoeder in de eierstok in de eileider in een ader
Verder oefenen? Ga naar .
LEERDOELEN
Je kunt al:
L beschrijven welke prikkels het hormonale stelsel activeren;

L de bouw van een endocriene klier beschrijven;
L verklaren hoe hormonen na transport doorheen de bloedbaan slechts welbepaalde effectoren activeren;
L de invloed van hormonen op een optimale lichaamswerking verklaren met behulp van een voorbeeld.
Je leert nu:
L hoe verschillende hormonen voor homeostase kunnen zorgen;
L hoe het zenuwstelsel bijdraagt tot homeostase;
L hoe het hormonale stelsel en het zenuwstelsel samen voor homeostase kunnen zorgen.
In module 03 leerde je al hoe regelsystemen voor homeostase van je lichaamstemperatuur kunnen zorgen. Tal van receptoren, zenuwcellen en effectoren werken immers samen om jouw lijf op ongeveer 37 °C te houden, ook al is het erg koud buiten.
Daarnaast ontdekte je in het vorige hoofdstuk dat het hormonale stelsel je groei tijdens de puberteit regelt. Dat betekent dat zowel het zenuwstelsel als het hormonale stelsel een regelende functie hebben in je lijf. Samen helpen de regelsystemen je lichaam optimaal te werken bij veranderende omstandigheden.
In dit hoofdstuk onderzoek je welke bijzondere mechanismen in het hormonale en in het zenuwstelsel tot homeostase leiden.
1 Hoe draagt het hormonale stelsel bij aan homeostase voor de bloedsuikerspiegel?
Glucose is de belangrijkste energieleverancier voor je lichaam. Vetten (en eiwitten) kunnen ook energie leveren, maar de hersenen doen uitsluitend een beroep op glucose. Daarom is het erg belangrijk dat er altijd voldoende glucose in het bloed aanwezig is. Tegelijk is een teveel aan glucose ook gevaarlijk. Het bloed wordt dan stroperig en bloedvaten kunnen verstoppen. Het kan ook leiden tot suikerziekte of diabetes, en zwaarlijvigheid of obesitas.
Hoe zorgt je lichaam ervoor dat de hoeveelheid glucose in je bloed tussen welbepaalde waarden blijft?
OPDRACHT 13
1,4 g/L
0,7 g/L
De onderstaande grafiek toont de schommelingen van het glucose- en insulinegehalte in het bloed. De tijdstippen 1, 2 en 3 zijn de momenten waarop gegeten werd. ochtend
1 Bekijk de rode curve van het glucosepeil. Wat stel je vast? Verklaar.
avond B insulinepeil normale bloedsuikerspiegel
2 Bekijk nu de blauwe curve van het insulinepeil en vergelijk ze met de rode curve. Wat stel je vast? Vink aan.
De blauwe curve loopt gelijk met de rode curve.
De blauwe curve volgt de rode curve, maar iets later in de tijd.
De rode curve volgt de blauwe curve, maar iets vroeger in de tijd.
3 De groene lijnen zijn de ondergrens en bovengrens bij een normale bloedsuikerspiegel. Markeer wat past. De bloedsuikerspiegel is constant / schommelt tussen bepaalde grenswaarden bij een gezonde levenswijze.
Je hebt al geleerd dat voedingsstoffen na de vertering in het spijsverteringsstelsel opgenomen worden in het bloed. Daardoor verhoogt het suikergehalte van het bloed, of de bloedsuikerspiegel.
Uit het bovenstaande onderzoek kun je afleiden dat de stijging van een stofhoeveelheid in je bloed, hier de glucoseconcentratie, een inwendige prikkel vormt. Je lichaam reageert daarop door die hoeveelheid weer te verlagen.
In de pancreas liggen bepaalde cellen gegroepeerd in de eilandjes van Langerhans, de alfa- (α) en bètacellen (β). Zij merken en meten de hoeveelheid glucose. De pancreas kun je dus als receptor in het regelsysteem beschouwen.
Stijgt je bloedsuikerspiegel na een maaltijd of een blikje frisdrank boven de grenswaarde, dan merken de β-cellen dat op en produceren ze kleine hoeveelheden van het hormoon insuline.
Het hormoon insuline wordt aan het bloed afgegeven en geleidt de informatie. Het zorgt ervoor dat alle lichaamscellen glucose uit het bloed kunnen opnemen, waardoor het glucosegehalte van het bloed daalt. Die lichaamscellen zijn dus de effectoren: het zijn de cellen die reageren op het hormoon. Het gehele regelsysteem zorgt ervoor dat de bloedsuikerspiegel voortdurend gemeten en bijgestuurd wordt en zo het suikergehalte tussen bepaalde grenswaarden (4 en 8 mmol/L of 70 en 140 mg/dL) blijft.
eilandjes van Langerhans

bètacel
pancreas of alvleesklier
bloedvat
alfacel
rode bloedcel β-cellen geven insuline af aan het bloed.
bloedvat
insuline
glucosemolecule
Insuline stimuleert lichaamscellen, zoals spieren, om glucose op te nemen.
S Afb 146 Het hormoon insuline zorgt voor een verlaging van de bloedsuikerspiegel.
skeletspier
Maar wat als je bijvoorbeeld na een langdurige sportinspanning of door lange tijd niet te eten, te weinig glucose in je bloed hebt? De bloedsuikerspiegel komt daardoor tijdelijk onder de grenswaarde te liggen. In dat geval zullen α-cellen uit de eilandjes van Langerhans antwoorden op die prikkel en het hormoon glucagon produceren. Dat hormoon wordt door de bloedbaan tot bij de specifieke levercellen gebracht. Glucagon stimuleert de levercellen om glucose af te geven aan het bloed, met als gevolg dat de glucoseconcentratie in het bloed stijgt. Naarmate het glucosegehalte in het bloed dichter bij de grenswaarde komt, neemt de glucagonproductie weer af.
OPDRACHT 14
alvleesklier lever
glucagon
bloedvat
S Afb. 147 Het hormoon glucagon zorgt voor een verhoging van de bloedsuikerspiegel.
glucosemolecule
Je kunt uit afbeelding 147 afleiden dat insuline en glucagon de bloedsuikerspiegel op een verschillende manier beïnvloeden. Ze zijn er echter beide op gericht een afwijkende bloedsuikerspiegel weer naar de gewenste waarden te brengen. Daartoe spreken ze verschillende effectoren aan.
Vul onderaan, op basis van de aangeboden schematische voorstellingen, het regelsysteem voor het realiseren van een gewenste bloedsuikerspiegel aan. Beantwoord daarna de vraag.
prikkel
verhoging van de glucoseconcentratie in het bloed
receptor
β-cellen in de alvleesklier
geleider insuline
effector alle lichaamscellen
reactie
opname van glucose uit het bloed
prikkel
verlaging van de glucoseconcentratie in het bloed
receptor
α-cellen in de alvleesklier
geleider glucagon
effector levercellen
reactie
afgave van glucose aan het bloed
receptor:
prikkel:
conductor: hormoon glucagon
effector: reactie:
homeostase bloedsuikerspiegel tussen 70 en 140 mg/dL
prikkel: receptor: reactie: effector:
conductor: hormoon insuline
S Afb. 148
Regelsysteem voor de homeostase van de bloedsuikerspiegel
Men noemt glucagon en insuline soms antagonistische hormonen. Dat betekent dat ze een tegengesteld effect kunnen uitlokken. Leg uit welke effecten dat zijn.
De α- en β-cellen van de alvleesklier, hun hormonen glucagon en insuline, en de effectorcellen zorgen er samen voor dat de bloedsuikerspiegel binnen grenswaarden gehouden wordt. In afbeelding 148 zie je dat twee regelsystemen samen de glucoseconcentratie rond een evenwichtswaarde houden. Die waarde is optimaal voor de werking van je lichaam. We spreken in dat geval van homeostase. Ondanks de veranderende gebeurtenissen rondom en in je lichaam wordt de bloedsuikerspiegel stabiel gehouden dankzij beide regelsystemen.
Regelsystemen zijn er niet enkel om je bloedsuikerspiegel rond een gewenste evenwichtswaarde te houden. Tal van verschillende grootheden in je lichaam schommelen voortdurend rond een evenwichtswaarde dankzij regelsystemen. Ook de zuurstofgashoeveelheid in het bloed, ademhalingsfrequentie, hartritme, bloedsuikerspiegel, vochtbalans, mineraalconcentraties, bloeddruk … zijn mogelijke parameters.
Homeostase is het in stand houden van een stabiel inwendig milieu, zodat lichaamsprocessen optimaal kunnen verlopen.
Een stabiel inwendig milieu betekent dat grootheden rond optimale evenwichtswaarden schommelen, ondanks de veranderende gebeurtenissen en processen in en rondom het lichaam.
Regelsystemen kunnen grote afwijkingen van de evenwichtswaarden bijsturen en herstellen
De hormonen insuline en glucagon handhaven de homeostase van de bloedsuikerspiegel en zijn erop gericht effectoren aan het werk te zetten als reactie op een verstorende prikkel.
• Insuline wordt aangemaakt door de β-cellen van de alvleesklier. Insuline zorgt ervoor dat de doelwitcellen extra glucose opnemen uit het bloed wanneer de bloedsuikerspiegel stijgt.
• Glucagon wordt aangemaakt door de α-cellen van de alvleesklier. Glucagon zorgt ervoor dat de lever extra glucose afgeeft aan het bloed wanneer de bloedsuikerspiegel daalt.
Wanneer het glucosegehalte de grenswaarden bereikt, wordt de productie van insuline en glucagon afgeremd.
` Maak oefening 1 op p. 350.
OPDRACHT 15
Lees de onderstaande tekst over suikerziekte en beantwoord de vragen. Zoek de antwoorden online of in de tekst.
Diabetes type 1
Deze vorm van suikerziekte begint meestal op jonge leeftijd. De aanleiding is de afbraak van de insulineproducerende β-cellen door ons eigen afweersysteem. Omdat er daardoor bijna geen insuline meer wordt aangemaakt, wordt het insulineafhankelijke diabetes genoemd. Patiënten die aan deze vorm van suikerziekte lijden, moeten een glucosearm dieet volgen. Daarnaast moeten ze na elke maaltijd insuline toedienen om de gestegen bloedsuikerspiegel weer te kunnen normaliseren. Dat kan met een insulinepen. Wil je weten hoe zo’n insulinepen werkt? Scan dan de QR-code.
Diabetes type 2

Deze vorm van diabetes ontstaat meestal pas na het veertigste levensjaar. Mensen met diabetes type 2 produceren wel nog insuline, maar de effectorcellen reageren er onvoldoende op. Men spreekt van insulineonafhankelijke diabetes. Dat type suikerziekte is de laatste decennia onrustwekkend toegenomen en komt op steeds jongere leeftijd voor. Het heeft vooral te maken met verkeerde voedingsgewoonten en een verkeerde levensstijl. Te veel suiker en dierlijk vet eten en te weinig bewegen, hebben zwaarlijvigheid tot gevolg. Zwaarlijvigheid bevordert de ongevoeligheid van effectorcellen voor insuline. Men schat het aantal suikerzieken met diabetes type 2 op zo’n half miljoen in ons land.


Normaal gezien schommelt de bloedsuikerspiegel tussen 4 en 8 mmol/L. Omdat bij diabetespatiënten het regelsysteem dat zorgt voor de homeostase van de bloedsuikerspiegel erg verstoord is, moeten zij voortdurend hun bloedsuikerspiegel controleren. Dat kan met een bloedglucosemeter en bijbehorende teststrips. Je brengt een druppeltje bloed aan op een teststrip en na enige tijd verschijnt de bloedglucosewaarde op de bloedglucosemeter.
Patiënten met diabetes type 1 gebruiken steeds meer een glucosesensor die in de bovenarm wordt geplaatst. Bij deze methode, Flash Glucose Monitoring of FGM, worden de bloedsuikerwaarden continu gemeten door de onderhuidse sensor. De suikerwaarden worden zichtbaar bij het ‘flashen’ van de sensor. Dat kan via een app op de smartphone of met een reader.
Meer weten over diabetes? Scan de QR-code.
OPDRACHT 15 (VERVOLG)
1 Wat zijn de symptomen van diabetes type 1?
2 Waarom zijn hoge bloedsuikerwaarden gevaarlijk?
3 Waarom moet insuline meerdere keren per dag worden ingespoten?
4 Hoe kan diabetes type 2 in vele gevallen zonder insuline worden behandeld?
Bij iemand met diabetes type 1 worden de insulineproducerende β-cellen afgebroken door het eigen afweersysteem en wordt er minder insuline aangemaakt. Daardoor wordt suiker minder goed uit het bloed opgenomen. Wanneer je effectorcellen minder gevoelig worden voor insuline, heb je diabetes type 2. De insuline bindt dan minder goed op de doelwitcellen, waardoor ook bij deze vorm van diabetes de suiker minder goed uit je bloed wordt weggehaald. Zo kan het gebeuren dat spierweefsels of zintuigcellen uit je oog minder suiker kunnen opnemen en gedeeltelijk afsterven. Beide types diabetes kunnen dus erg nadelige gevolgen hebben voor je gezondheid.
Regelsystemen kunnen soms verstoord geraken, waardoor ze niet langer voor homeostase kunnen zorgen. Wanneer de homeostase voor de bloedsuikerspiegel verstoord geraakt, spreekt men van suikerziekte of diabetes. Daar bestaan verschillende vormen van:
• Diabetes type 1: de alvleesklier werkt minder goed, je maakt dan minder insuline aan.
• Diabetes type 2: het regelsysteem vertoont onvoldoende goedwerkende effectoren, omdat die doelcellen bevatten die minder gevoelig zijn voor insuline en het dan moeilijker is om glucose uit het bloed op te nemen.
Beide types diabetes kunnen erg nadelige gevolgen hebben voor je gezondheid.
` Maak oefening 2 op p. 350.
In het voorbeeld van de bloedsuikerspiegel zal een toename van de hoeveelheid suiker in het bloed zorgen voor de productie van insuline. Daardoor zal de glucose gestockeerd worden in onder andere de levercellen. De hoeveelheid suiker in het bloed zal vervolgens weer dalen. Daarop daalt ook de productie van insuline.
Die manier van regelen, waarbij het resultaat van een proces datzelfde proces afremt, noem je negatieve terugkoppeling of negatieve feedback.
De negatieve terugkoppeling bij het hypothalamus-hypofyseschildkliersysteem zorgt ervoor dat de activiteit van je lichaamscellen - en dus de stofwisseling - altijd optimaal is, ook als de omstandigheden wijzigen.
We spreken van homeostase voor stofwisseling.
Endocriene klieren meten voortdurend de concentratie van belangrijke stoffen. De gemeten waarde wordt voortdurend vergeleken met een gewenste waarde
Negatieve terugkoppeling is een regeling waarbij het resultaat van een proces datzelfde proces afremt. Die regeling helpt bij het bereiken van de gewenste concentratie van een stof:
• wanneer de concentratie van een stof beneden de gewenste waarde ligt, produceert het lichaam een hormoon waardoor er meer van die stof wordt aangemaakt;
• wanneer de concentratie van die stof boven de gewenste waarde komt, produceert het lichaam een hormoon waardoor er minder van die stof wordt aangemaakt.
Dankzij negatieve terugkoppeling komt je lichaam tot homeostase voor stofwisseling en daarmee ook voor lichaamstemperatuur.
` Maak oefening 3 en 4 op p. 350-351.
Homeostase is het zelfstandig houden van geschikte voor inwendige grootheden, ondanks de gebeurtenissen en processen rondom en in het lichaam.
Homeostase voor de bloedsuikerspiegel prikkel verhoging van de glucoseconcentratie in het bloed
prikkel verlaging van de glucoseconcentratie in het bloed
sensor conductor effector reactie
Wanneer het glucosegehalte de grenswaarden bereikt, wordt de productie van en afgeremd door een negatieve terugkoppeling of negatieve feedback. Op die manier handhaven die hormonen homeostase van de
JANOG OEFENEN
1 Begripskennis
• Ik kan het begrip homeostase omschrijven.
• Ik kan voor een aangereikt voorbeeld omschrijven hoe het hormonale stelsel kan bijdragen aan een goede lichaamswerking.
• Ik kan verduidelijken hoe hormonen de homeostase herstellen.
• Ik kan met een voorbeeld aantonen wat er bedoeld wordt met negatieve terugkoppeling.
• Ik kan met behulp van een voorbeeld omschrijven hoe het hormonale stelsel en het zenuwstelsel samen voor homeostase zorgen.
2 Onderzoeksvaardigheden
• Ik kan aangereikte tekeningen, figuren en grafieken interpreteren en daaruit logische gevolgen trekken
• Ik kan gericht informatie uit een tekst halen
` Je kunt deze checklist ook op invullen bij je portfolio.
Mijn notities
Zijn de volgende beweringen waar of niet waar? Zet een kruisje in de juiste kolom.
Waar Niet waar
Een hoog gehalte aan insuline in het bloed stimuleert de levercellen tot afgifte van glucose aan het bloed.
Wanneer na een maaltijd veel glucose wordt opgenomen, daalt de glucagonproductie door de alvleesklier.
Wanneer je enkele uren niet gegeten hebt, stijgt de productie van insuline door de alvleesklier.
Een diabeet moet niet alleen rekening houden met wat hij eet en hoeveel hij eet, maar ook met wat hij doet. Leg uit.
Wat hij eet en hoeveel hij eet:
Wat hij doet:
Beoordeel de onderstaande stellingen en verbeter indien nodig.
a Homeostase is het vermogen van dieren en mensen om ervoor te zorgen dat de waarde van stoffen in het inwendig milieu altijd precies dezelfde waarde is.
b Negatieve terugkoppeling zorgt ervoor dat het resultaat van een bepaald proces datzelfde proces stimuleert.
Vergelijk de kenmerken van het zenuwstelsel en hormonale stelsel door de tabel aan te vullen.
Zenuwstelsel
Hormonaal stelsel
Beide stelsels kunnen gebruikmaken van chemische signaalstoffen Welke?
Welke?
Waar?
Waar?
afgegeven aan de bloedbaan tussen receptorcel en effector of andere kliercellen
Beide stelsels richten zich op specifieke bestemmingen.
Bestemming?
andere cel aan het uiteinde van een neuron
Hoe?
Van één bron naar : niet elke cel wordt blootgesteld, maar reageert bij blootstelling.
Bestemming? = elke cel met een receptormolecule dat kan binden met het hormoon
Hoe?
Van één bron naar : elke cel wordt blootgesteld, maar niet reageren bij blootstelling.
Beide stelsels kunnen communiceren over lange afstand.
Hoe snel?
heel
informatieoverdracht snelheid van impulsgeleiding (60 m/s)
Inzetbaarheid?
bij een plotse crisis
Duurzaamheid van het effect?
effect van duur: precies één impuls lang, dus slechts kortstondig aanwezig
Hoe snel?
heel
informatieoverdracht snelheid van de bloedstroom (max. 0,5 m/s)
Inzetbaarheid? ook voor effecten op termijn
Duurzaamheid van het effect?
effect van duur: zolang het hormoon voorradig is
Beide stelsels hebben als doel:
het lichaam optimaal te laten functioneren, ook bij veranderende of omstandigheden.
` Verder oefenen? Ga naar .
Hormonaal stelsel
BEKIJK DE KENNISCLIP
• Inwendig e prikkels zoals de verandering in inwendig milieu (bloedsuikerspiegel)
• Uitwendig e prikkel zoals gevaar
BEKIJK DE KENNISCLIP
• Sommige endocriene kliercellen nemen veranderingen in het inwendig milieu waar met sensoren . Die meten en vergelijken voortdurend de concentratie van belangrijke stoffen met een gewenste waarde.
• Ander e endocriene kliercellen ontvangen zenuwsignalen van motorische neuronen.
Endocriene kliercellen produceren hormonen. Het geproduceerde hormoon treedt op als conductor. Hormonen zijn signaalstoffen die:
• gema akt worden in het lichaam door endocriene klieren ;
• in de bl oedbaan worden uitgescheiden;
• via de bloedbaan over grote afstanden verspreid worden;
• enk el cellen die beschikken over passende membraanreceptoren activeren. Dat zijn de effectoren . membraanreceptor 1 geactiveerd hormoon celmembraan c elkern cytoplasma membraanreceptor 2 membraanreceptor 3
Zenuwstelsel
• Inwendig e prikkels zoals pijn, honger …
• Uitwendig e prikkels zoals licht, geluid ...
prikkel
Veranderingen in het uitwendig of inwendig milieu worden waargenomen door receptoren verbonden met een neuron of door een vrij zenuwuiteinde . impuls ++ – – + + receptorcel prikkel
receptor of sensor
1 impuls bij een prikkel zwakker dan prikkeldrempel
2 impuls bij een zwakke prikkel
Bij het zenuwstelsel gebeurt de geleiding van het elektrisch signaal via zenuwcellen of neuronen .
prikkel- drempel
3 impuls bij een sterke prikkel
• E en prikkel kan in een neuron een ladingsverandering doen ontstaan.
• De l adingsverandering verplaatst zich over het axon, dat is de impulsgeleiding . impulsgeleiding
conductor
Hormonaal stelsel
Zenuwstelsel
• De inf ormatieoverdracht via het hormonale stelsel is traag : de snelheid van de bloedstroom is max. 0,5 m/s.
• Het eff ect duurt langer , zolang het hormoon aanwezig is in het bloed
De effectoren zijn doelwitcellen met passende membraanreceptoren in organen, spieren, klieren ...
Inwendig stabiel milieu door negatieve terugkoppeling of negatief feedbacksysteem Vechtof vluchtreflex om te reageren in stressvolle situaties
• Aan het uit einde van het axon, via de synaps , wordt het elektrisch signaal overgedragen van de ene naar de andere cel. neurotransmitter eindknopje impuls 1 2 3 4 impuls axon
membraan- receptor chemisch signaal elektrisch signaal
celmembraan synaptisch blaasje synaptische spleet elektrisch signaal
celmembraan
• Die inf ormatieoverdracht gebeurt met een chemische stof, een neurotransmitter.
• De inf ormatieoverdracht via het zenuwstelsel is heel snel: de snelheid van impulsgeleiding is 60 m/s.
• Het eff ect is van korte duur, precies één impuls lang.
De effectoren zijn spieren en klieren.
effector
Het zenuwstelsel zet spieren aan tot een gewilde beweging of reflex en zet klieren aan tot secretie of excretie .
reactie
Het zenuwstelsel en het hormonale stelsel zijn erop gericht effectoren aan het werk te zetten als reactie op een uitwendige of inwendige prikkel. Ze zijn de schakel tussen receptoren en effectoren. Beide stelsels hebben als doel een dynamisch evenwicht in je lichaam te behouden.
Het zenuwstelsel en hormonale stelsel zijn regelsystemen die ervoor zorgen dat tal van parameters in je lichaam steeds schommelen rond een evenwichtswaarde. Het zenuwstelsel en het hormonale stelsel handhaven homeostase
Vaak werken het hormonale stelsel en het zenuwstelsel samen om de homeostase te bereiken.
doel
Bij het onderdeel Check in waagde je je aan het wiel. Je leerde in dit thema heel wat over de regelsystemen in je lichaam die het uitvoeren van dat wiel mogelijk maken.
1 Voor je aan het wiel start, ga je bewust waarnemen en beoordelen waar je je handen zal plaatsen. Ook tijdens het uitvoeren komen er heel wat prikkels over je omgeving en je lijf toe in je verwerkingscentra. Waar gebeurt het verwerken van de informatie over die prikkels?

2 Nadat de binnenkomende prikkels beoordeeld en verwerkt werden, wordt beslist naar welke spieren impulsen verzonden worden. Van waaruit worden je gewenste bewegingen aangestuurd?
3 Bij de uitvoering van het wiel zal automatisch ook je hartslag en je ademhalingsfrequentie toenemen. Welk deel van je zenuwstelsel regelt dat?
4 Waarom moet je niet nadenken over de strekreflex van je bovenste dijbeenspieren wanneer je met gebogen knieën weer op de grond landt?
5 Met een bionische arm of been kun je het wiel perfect leren uitvoeren. Met welk type zenuwen moet de elektrische bedrading van de motortjes dan operatief verbonden worden?
6 Na een dag lang oefenen op het wiel, heb je pas ‘s avonds reuzehonger. Je kon er immers de hele dag op rekenen dat je lichaam voldoende suiker in je bloedbaan bracht om verder te gaan. Wat was de rol van glucagon daarbij?


Het wiel uitvoeren is een gewilde beweging. Het impulstraject loopt via de grote hersenen. Daar gebeurt het verwerken van de prikkels en het bepalen van een gepaste reactie. Via een schakelneuron in de verwerkingscentrum voor beweging wordt de impuls naar motorische neuronen gestuurd, die de skeletspieren aansturen. Zij voeren de gewenste bewegingen uit. Niet alle reacties gebeuren bewust. Bij het wiel zijn ook reflexen betrokken, die worden automatisch uitgevoerd. Daarnaast regelt het hormonaal stelsel dat je voldoende suiker in het bloed blijft houden, ook wanneer je een hele dag oefent.

Borstvoeding is een van de merkwaardige eigenschappen van zoogdieren. De moedermelk moet niet alleen de baby voeden, het is ook voeding voor de darmbacteriën van de baby en bevat belangrijke moleculen die de zuigeling tegen ziekten beschermen.
WAT GEBEURT ER?
HOE ZIT DAT?
Tijdens de late zwangerschap en bij het begin van het moederschap wordt er moedermelk aangemaakt door de melkklieren van de borst. Wanneer de baby aan de borst zuigt, stimuleert dat bepaalde receptoren in de tepelhof van de moeder. Vanuit die receptoren vertrekken er zenuwimpulsen naar de hersenen van de moeder. In de hypofyse, een aanhangsel van de hersenen, wordt er dan oxytocine en prolactine afgegeven. Die hormonen worden in de bloedbaan gebracht en doorheen het lichaam verspreid. In de melkklieren van de borst stimuleert prolactine de melkklieren om melk te maken, oxytocine veroorzaakt het samentrekken van de spiertjes rondom de melkklieren. De melk wordt daardoor via afvoergangen naar buiten geknepen tot in het babymondje.
1 In dit voorbeeld vind je in de borst van de moeder twee soorten reacties terug. Welke twee?
2 Welke effectoren voeren die reacties uit?
3 Welke conductoren vind je hier terug? melkklier
` Waardoor trekken spieren samen?
` Welke soorten spieren zijn er?
` Welke soorten klieren zijn er?
We zoeken het uit!
VERKEN
OPDRACHT 1
Zijn de volgende reacties voorbeelden van spier- of klierwerking?
Reactie SpierwerkingKlierwerking
a Je maag produceert maagzuur, dat zorgt voor de vertering van eiwitten.
b Tijdens het sporten klopt je hart sneller.
c Je huid blijft soepel en vettig doordat er talg wordt aangemaakt.
OPDRACHT 2
Vanuit de mond komt voedsel in de slokdarm, die sterk gespierd is. Via de slokdarm wordt het voedsel in de richting van de maag geduwd. Hoe gebeurt dat precies?
Neem een lange kous en steek er een tennisbal in.
1 Zal de tennisbal spontaan naar beneden zakken?
2 Wat moet je doen om de bal te laten zakken?
3 Op dezelfde manier gebeurt dat in de slokdarm. De spieren boven de voedselbrok knijpen ritmisch samen en duwen de brok steeds verder. De spieren naast de voedselbrok ontspannen zich zodat op die plek het darmkanaal wijder wordt en de voedselbrok kan passeren.
a Welk soort spieren zorgt voor de knijpbeweging?
b Welk soort spieren zorgt voor het wijder worden van de darm?
4 Die georganiseerde manier van afwisselend samentrekken van de spieren noemen we de peristaltische beweging. Staat die ritmische knijpbeweging onder controle van onze wil? ja nee
Reacties op prikkels worden uitgevoerd door effectoren, namelijk spieren en klieren. Spieren kunnen samentrekken en staan al dan niet onder controle van onze wil. Klieren maken klierproducten aan.
Je kunt al:
L uitleggen hoe dieren prikkels opvangen;
L het onderscheid tussen de werking van een reflex en een gewilde beweging uitleggen;
L de rol van conductoren beschrijven.
Je leert nu:
L de verschillende soorten spieren op basis van aansturing en werking onderscheiden;
L de bouw van de soorten spieren uitleggen;
L omschrijven hoe spieren werken.

Sluit even je ogen, ontspan je en focus op welke activiteiten er in je lichaam gebeuren. Je merkte ongetwijfeld op dat je met tussenpozen inademt. Misschien bewoog je ook wel even je vingers, of probeerde je met je ogen te knipperen. Als het stil was, hoorde je misschien wel je eigen hart bonzen. Al die handelingen waren reacties op prikkels. Maar gebeurden de handelingen bewust of niet? In dit hoofdstuk leer je welke soorten spieren er zijn en hoe spieren op impulsen van het zenuwstelsel reageren.
1 Hoe worden spieren door het zenuwstelsel aangestuurd?
In de vorige modules leerde je al dat het zenuwstelsel spieren kan doen reageren. Een voorbeeld hiervan is het opspannen van bepaalde spieren in je arm, zoals wanneer je een bal wil werpen. Het zenuwstelsel stuurt de spieren aan om gepast te reageren. Voor vele soorten acties maak je gebruik van je spieren. prikkel receptor conductor effector reactie impuls impuls
OPDRACHT 3
Op verschillende plaatsen in je lichaam komen spieren voor. Los de opdracht op en leer meer over de aansturing van de spieren.
Bij alle situaties worden spieren gebruikt. Duid in de laatste kolom aan of de nodige spieren bewust of onbewust werken.
bewustonbewust
a De haartjes op je arm gaan rechtop staan van de kou.
b Je tilt je hand op
c Je kauwt op een boterham.
d Je bloedvaten vernauwen en je huid wordt wit bij koude.
Sommige spieren lijken uit zichzelf te werken, zoals de spieren rond de spijsverteringsorganen en de spieren in de wanden van de bloedvaten en de luchtwegen. Over die spieren hebben we geen controle. We kunnen ze dus niet bewust aanspannen of ontspannen. Ze worden gladde spieren genoemd.
Andere spieren kunnen we bewust aansturen om een gewenste handeling uit te voeren. Het zijn de skeletspieren. Denk bijvoorbeeld aan het snijden van een ui, het grijpen van een voorwerp, je lichaam in een bepaalde positie brengen, gezichtsuitdrukkingen en voortbeweging. Spieren die onder controle van de wil staan, zijn meestal met het skelet verbonden.
De hartspier is een buitenbeentje: ze heeft geen signaal van het zenuwstelsel nodig om samen te trekken. De hartspier controleert zelf het samentrekken en ontspannen van het hart. De impuls voor die bewegingen ontstaat in het hart zelf. Bij een inspanning verhoogt de hartslag en na een inspanning verlaagt hij weer.
We kunnen verschillende soorten spieren onderscheiden met elk hun eigen manier van aansturing door het zenuwstelsel:
• Skeletspieren staan onder controle van de wil.
• Gladde spieren bevinden zich in de organen en hun werking kan niet bewust gecontroleerd worden.
• De hartspier is een speciale spier die uit zichzelf samentrekt
` Maak oefening 1 op p. 378.

hartspierweefsel skeletspierweefsel glad spierweefsel
OPDRACHT 4
Vergelijk de spierwerking in elk van onderstaande gevallen.
1 Vul de tabel aan.
Soort spier Raken vermoeid Snelheid samentrekken
spieren om vingers te bewegen ja / neesnel / traag
hart ja / neesnel / traag
spieren in de spijsverteringsorganen ja / neesnel / traag
2 Formuleer een besluit.
Skeletspieren kunnen snel en krachtig samentrekken. Daardoor kunnen we lichaamsdelen snel bewegen, wat nodig is om bijvoorbeeld het evenwicht te herstellen, gevaren te ontwijken en om te sporten. Dankzij de skeletspieren kan je lichaam snel inspelen op veranderende omstandigheden. Omdat het snel samentrekken veel energie vereist, zijn skeletspieren vermoeibaar.
Gladde spieren werken trager maar zijn nagenoeg onvermoeibaar. Daarom zijn ze uitermate geschikt voor bewegingen die niet onder controle van de wil staan en lang moeten worden volgehouden. Gladde spieren in de wanden van het spijsverteringsstelsel, de bloedvaten en het ademhalingsstelsel zorgen dat die organen de hele dag door kunnen werken, zelfs als je slaapt. Zo helpen ze om het lichaam optimaal te laten functioneren.
De werking van de hartspier vertoont kenmerken van zowel skeletspieren als gladde spieren. De hartspier is net als een gladde spier nagenoeg onvermoeibaar. Zo kan ze elke dag, van je geboorte tot je dood, onophoudelijk bloed in de bloedvaten pompen. De hartspier kan ook net als skeletspieren snel en krachtig samentrekken. Zo kan bij inspanning de hartslagfrequentie sterk stijgen (bij de mens tot wel meer dan 200 slagen per minuut), om zo meer bloed te sturen naar de spieren.
Onderzoek toonde aan dat de meeste zoogdieren een levensduur hebben van ongeveer 1 miljard hartslagen. Muizen leven gemiddeld 2 à 2,5 jaar en hun hart slaat zo’n 600 à 700 keer per minuut. Een olifant leeft gemiddeld 60 jaar en heeft een hartslag van 30 slagen per minuut. De mens is een buitenbeentje: ons hart slaat in ons leven zo’n 2,5 miljard keer. Dat was honderden jaren geleden wellicht anders, maar door onze kennis en techniek is onze levensverwachting sterk gestegen.

De verschillende soorten spierweefsel reageren verschillend:
• Skeletspieren kunnen snel samentrekken maar zijn vermoeibaar. Zo kunnen ze snel lichaamsdelen doen bewegen om het lichaam optimaal te laten werken.
• Gladde spieren werken trager maar zijn nagenoeg onvermoeibaar. Ze worden gebruikt voor bewegingen die de hele dag volgehouden moeten worden en geen controle van de wil vereisen.
• Hartspiercellen kunnen krachtig samentrekken en zijn nagenoeg onvermoeibaar.
Je leerde al dat er drie verschillende soorten spieren zijn die op een verschillende manier worden aangestuurd door het zenuwstelsel. (onder invloed van de wil of niet) Ook leerde je dat die spieren verschillen in werking. Nu bekijk je de verschillende soorten spierweefsel onder de microscoop en onderzoek je of er ook in de microscopische bouw verschillen waar te nemen zijn.
OPDRACHT 5
1 Hoe zijn de verschillende soorten spieren microscopisch opgebouwd? Kruis aan in de tabel.
Soort spier
skeletspier (mens)

gladde spier (hond)

hartspier (konijn)

2 Wat kun je besluiten?
Vorm van cel/ spierweefsel Dwarsgestreept? Aantal kernen Vertakt?
cilindrisch spoelvormig kort, vertakt ja nee één meerdere ja nee
cilindrisch spoelvormig kort, vertakt ja nee één meerdere ja nee
cilindrisch spoelvormig kort, vertakt ja nee één meerdere ja nee
Uit opdracht 5 kon je afleiden dat er duidelijke verschillen zijn tussen de verschillende spiercellen wat betreft de vorm van de cellen, het aantal kernen, de aanwezigheid van een dwarse streping of het al dan niet vertakt zijn. Bij de skeletspieren en het hartspierweefsel is die dwarse streping duidelijk aanwezig. Daarom worden de skeletspieren ook dwarsgestreepte spieren genoemd. Hoe het komt dat die dwarse strepen aanwezig zijn, leer je bij de bouw van de dwarsgestreepte spieren.
De bouw van soorten spiercellen verschillen in vorm van de cellen, het aantal kernen, het al dan niet vertakt zijn en het al dan niet voorkomen van een dwarse streping.
` Maak oefening 2, 3 en 4 op p. 378-379.
Dwarsgestreepte spieren of skeletspieren maken het mogelijk dat we bewust kunnen bewegen. Het zijn spieren die onder controle van onze wil staan. Ze kunnen snel samentrekken maar zijn vlug moe.
4.1 Hoe zijn dwarsgestreepte spieren opgebouwd?
A Macroscopische bouw
OPDRACHT 6
Bekijk een sneetje gekookte of rauwe ham of bestudeer de afbeelding.
Duid aan op de figuur en benoem de volgende onderdelen: spier – spierschede – spierbundel – bundelschede – bloedvat – vetweefsel

Een spier is omgeven door een stevig wit vlies, de spierschede. Ze bestaat uit bindweefsel, dat alle delen van de spier samenhoudt en zorgt dat bij beweging de spieren over elkaar kunnen schuiven zonder te beschadigen. bot pees pees spierbuik bundelschede spierschede spierbundel
Afb. 151 Bouw van een skeletspier
Het dikste gedeelte van een spier is de spierbuik. Elke spier is opgebouwd uit vele spierbundels die ook door bindweefsel zijn omgeven, de bundelschede. Elke spierbundel bestaat uit talrijke evenwijdig aan elkaar lopende spiervezels die met het blote oog niet zichtbaar zijn.
Elke spiervezel is omgeven door een heel elastisch bindweefsel dat de spiervezels bijeenhoudt. Doorheen dat bindweefsel lopen bloedvaten die voedingsstoffen en zuurstofgas aanbrengen en zenuwen die de werking van de spiervezels aansturen.
De verschillende soorten bindweefsel verenigen zich buiten de spier tot een pees. Pezen lopen vaak over gewrichten en hechten een spier vast op een bot.
biceps zenuwuitloper
spierbuik
bundelschede bloedvat pees
spierschede
spiervezel spierbundel met bundelschede
bindweefsel
Een spier is omgeven door een spierschede en bevat meerdere spierbundels, die elk omgeven zijn door een bundelschede. Elke spierbundel is opgebouwd uit vele spiervezels, waartussen bindweefsel ligt. Het bindweefsel verenigt zich buiten de spierbuik tot een pees, waarmee de spier aan een bot is vastgehecht.
Doorheen het bindweefsel lopen bloedvaten, die voedingsstoffen tot bij de spiervezels brengen, en uitlopers van zenuwen, die de spiervezels aansturen.
` Maak oefening 5 en 6 op p. 379.
Skeletspieren zijn opgebouwd uit eenheden die we spiervezels noemen. Het zijn grote cilindrische structuren die ontstaan door samensmelting van meerdere cellen en daardoor meerdere kernen bevatten.
Je kon eerder al waarnemen dat skeletspieren microscopisch een gestreept uitzicht hebben. Dat gestreepte uitzicht is het gevolg van de microscopische bouw van de spiervezel.
spiervezel
kern
celinhoud
spierfibril
membraan
spierfibril
dunne eiwitdraad/ actine
S Afb 153
lichte band lichte band
donkere band
dikke eiwitdraad/ myosine
sarcomeer
Een spiervezel is opgebouwd uit spierfibrillen. Elke spierfibril is een aaneenschakeling van een groot aantal sarcomeren. De regelmatige ordening van de eiwitdraden in een sarcomeer veroorzaakt een patroon van dwarse streping.
In elke spiervezel ligt een groot aantal eiwitvezels, de spierfibrillen of myofibrillen, in lengterichting naast elkaar. Een spierfibril is opgebouwd uit myofilamenten of eiwitdraden. Er bestaan twee soorten eiwitdraden: myosine zijn dikke eiwitdraden en actine zijn dunne eiwitdraden. Elke spierfibril is ingedeeld in een groot aantal samentrekbare eenheden of sarcomeren, waarin dikke en dunne eiwitdraden op een heel regelmatige manier gerangschikt zijn. Het is die regelmatige rangschikking die een dwarsgestreept patroon van donkere en lichte banden veroorzaakt. Daarom spreekt men vaak over dwarsgestreepte spieren
Niet alle dwarsgestreepte spieren hebben een aanhechting aan het skelet.
• Skeletspieren hebben aanhechting aan beide uiteinden aan het skelet. Ze zorgen ervoor dat botten ten opzichte van elkaar kunnen bewegen.
• Gelaatsspieren hebben aanhechting aan de huid en de schedel. Ze zijn verantwoordelijk voor de gelaatsuitdrukkingen.
• Kringspieren hebben helemaal geen aanhechting aan het skelet. Dat zijn bijvoorbeeld de spieren rond de mond, het oog en de anus.

Dwarsgestreepte spieren zijn opgebouwd uit lange, cilindervormige spiervezels, die meerdere kernen bevatten. In spiervezels liggen talrijke spierfibrillen of myofibrillen in lengterichting naast elkaar. Spierfibrillen zijn opgebouwd uit een reeks samentrekbare eenheden of sarcomeren, waarin myosine en actine op regelmatige wijze geordend zijn. Die regelmatige ordening van eiwitdraden in de sarcomeren veroorzaakt de dwarse streping van de spiervezels.
` Maak oefening 7 en 8 op p. 379-380.
prikkel
receptor conductor effector
reactie impuls impuls
4.2 Hoe ontvangt een dwarsgestreepte spier een impuls van het zenuwstelsel?
Dwarsgestreepte spieren krijgen impulsen van het zenuwstelsel en worden aangestuurd door de wil. Ze voeren gewilde bewegingen uit en worden aangestuurd door het somatisch zenuwstelsel.
Elke spiervezel wordt aangestuurd door een aftakking van het axon van een motorisch neuron. Het eindknopje van het axon dat met de spiervezel contact maakt, wordt de motorische eindplaat genoemd. Ter hoogte van die synaps wordt de impuls van de zenuwcel door een neurotransmitter omgezet in een signaal dat de spiervezel aanstuurt. Alle spiervezels die onder controle van één motorisch neuron staan, zullen dus tegelijkertijd worden aangestuurd; ze ontvangen tegelijk een impuls en trekken tegelijk samen. Daarom worden ze een motorische eenheid genoemd.
Dendrieten ontvangen signalen
S Afb. 155
motorische eindplaat
Axon geeft signalen door
spiervezel

Spiervezels die door dezelfde motorische eindplaat worden aangestuurd vormen een motorische eenheid. Niet alle vezels van een spier behoren tot dezelfde motorische eenheid. Hoe meer motorische eenheden een impuls doorsturen, hoe meer spiervezels er samentrekken, en dus hoe sterker de samentrekking van de spier.
Tussen de spiervezels lopen axonen van motorische neuronen. Aftakkingen van een motorisch axon sturen een groep spiervezels, de motorische eenheid, aan. Elke aftakking eindigt op een motorische eindplaat, waar de impuls omgezet wordt in een signaal naar de spiervezel.
4.3 Hoe reageren dwarsgestreepte spieren op een impuls van het zenuwstelsel?
OPDRACHT 7
Bekijk de video en beantwoord de vragen.
Het filmpje start met een herhaling van de macroscopische en microscopische bouw van een spier. Daarna wordt getoond hoe spieren op (sub)microscopisch niveau samentrekken.
1 Wanneer trekt een spier samen?
2 Hoe wordt een spiervezel korter?
Je zag al dat spieren, uitgezonderd de hartspier, aangestuurd worden door het zenuwstelsel. Als een zenuwimpuls de spiervezels bereikt, schuiven de dunne eiwitdraden en de dikke eiwitdraden over elkaar. Zo worden de einden van alle sarcomeren in de spierfibrillen van een spiervezel naar elkaar getrokken, waardoor de spiervezel korter en dikker wordt. Door het korter en dikker worden van de spiervezels, spant een spier op
spiervezel
WEETJE
Spiervezels behoren tot de grotere ‘cellen’ van een menselijk lichaam. Ze zijn tot 0,1 mm dik en kunnen langer dan 10 cm worden. In de kleermakersspier, die loopt van de bovenzijde van het bekken tot de binnenkant van de knie, zijn sommige spiervezels 30 cm of langer.

W Afb. 156
myofibril/ spierfibril
dikke eiwitdraad myosine
dunne eiwitdraad actine
sarcomeer in opgespannen spier
Als een spiervezel een impuls ontvangt dan schuiven de eiwitdraden in elkaar en wordt de opgespannen spier korter en dikker.
S Afb. 157
sarcomeer in ontspannen spier
Een ontspannen spier is langer en dunner.
myofibril
OPDRACHT 8
Ga na hoe spieren veranderen als ze werken en beantwoord de bijbehorende vragen.
Laat je rechterarm hangen naast je lichaam, met de handpalm naar voren gericht. Leg je linkerhand rond je rechterbovenarm. Ga na op welke manier de spieren aan de bovenzijde (biceps) en onderzijde (triceps) van je arm veranderen als je je rechterarm buigt en strekt. Duid je bevindingen aan in de tabel.
Actie Plaats van de armspier
Verandering in lengte
Verandering in dikte
Verandering in werking buigen
voorzijde (biceps)korter / langerdikker / dunnerspant op / ontspant achterzijde (triceps)korter / langerdikker / dunnerspant op / ontspant
strekken
voorzijde (biceps)korter / langerdikker / dunnerspant op / ontspant achterzijde (triceps)korter / langerdikker / dunnerspant op / ontspant
OPDRACHT 9 ONDERZOEK
Onderzoek de macroscopische bouw van dwarsgestreepte spieren aan de hand van het labo bij het onlinelesmateriaal of bekijk de video.
Je leerde al dat een skeletspier door het zenuwstelsel wordt aangestuurd. Zodra impulsen in de spier aankomen, trekken spierbundels in een spier samen. Door het opspannen wordt de spier korter en dikker.
Omdat spieren enkel kunnen samentrekken als ze een impuls ontvangen, zijn voor tegengestelde bewegingen aparte spieren nodig. Een spier kan dus niet uit zichzelf langer worden. Om de arm te buigen wordt de biceps samengetrokken en is de triceps ontspannen. Om de arm te strekken is de triceps samengetrokken en is de biceps ontspannen. Spieren die een tegengestelde werking hebben en dus ook een tegengestelde beweging uitvoeren, zijn antagonisten
biceps
biceps
spaakbeen
ellepijp
triceps
spaakbeen
opperarmbeen
triceps
opperarmbeen
ellepijp
W Afb. 158 De spieren aan de voorzijde (biceps) en de achterzijde (triceps) van de bovenarm zijn antagonisten.
kraakbeenweefsel pees triceps biceps ellepijp
spaakbeen
Om te bewegen is er meer nodig dan alleen maar spieren. Er zijn botten nodig om de spieren op vast te hechten en gewrichten om de botten ten opzichte van elkaar te laten bewegen. Het gewricht waarmee de onderarm kan bewegen ten opzichte van de bovenarm is het ellebooggewricht.
Een gewricht is een verbinding tussen twee beenderen die ten opzichte van elkaar kunnen bewegen. Om soepel te kunnen bewegen, zijn de uiteinden van de botten bedekt met een laag kraakbeen. Zo wordt ook de slijtage van de beenderen voorkomen.
scharniergewricht
Dwarsgestreepte spieren staan onder invloed van de wil. Een dwarsgestreepte spier trekt samen als een impuls aankomt ter hoogte van de spiervezels waaruit ze is opgebouwd. Een impuls doet de eiwitdraden over elkaar schuiven waardoor de spiervezels korter en dikker worden. Daardoor spant een spier op.
Omdat de pezen van de skeletspier vaak over gewrichten lopen, zorgt het opspannen van een spier voor de beweging van een lichaamsdeel.
Doordat een spier enkel kan samentrekken, zijn voor tegengestelde bewegingen andere spieren nodig. Die spieren noemen we antagonisten
` Maak oefening 9 en 10 op p. 380.
5.1 Hoe zijn gladde spieren opgebouwd?
A Macroscopische bouw en voorkomen
OPDRACHT 10
Waar in het lichaam komen gladde spieren voor?
1 In de afgebeelde organen komen telkens gladde spieren voor. Duid telkens de spier of spierlaag aan en omschrijf kort wat er gebeurt als die spier of spierlaag samentrekt.
Orgaan
Wat gebeurt er als gladde spieren samentrekken? slagader


dunne darm
2 Kun je nog andere voorbeelden geven van organen waarin gladde spieren aanwezig zijn?
Gladde spieren staan niet onder controle van onze wil. Ze werken trager, maar zijn nagenoeg onvermoeibaar. Glad spierweefsel komt voor in het oog, in de huid, in de wand van holle organen en in vaten en buizen in het lichaam. Vaak treft men meerdere lagen aan waarbij de cellen in een andere richting georiënteerd zijn.


Gladde spieren vertonen geen dwarse streping omdat de dunne en de dikke eiwitdraden niet sterk geordend zijn. Glad spierweefsel is opgebouwd uit spoelvormige cellen die elk één centrale celkern bevatten.
5.2 Hoe ontvangt en reageert een gladde spier op een impuls van het zenuwstelsel?
Gladde spieren worden, net als skeletspieren, aangestuurd door het zenuwstelsel. Ze staan echter niet onder invloed van de wil en worden aangestuurd door het autonome zenuwstelsel. Het samentrekken van gladde spieren gebeurt onbewust en zorgt voor een dynamisch evenwicht in je lichaam. Zo trekken bijvoorbeeld de spieren in de bloedvaten in de huid samen bij koude temperatuur.
Net zoals skeletspieren ontvangen gladde spieren een impuls via de axonen van de motorische neuronen. De motorische eindplaat ontvangt dankzij de neurotransmitters de nodige informatie om samen te trekken
Gladde spieren beschikken ook over actine en myosine, maar die eiwitdraden liggen verspreid over de cel. Wanneer gladde spieren een zenuwimpuls ontvangen, schuiven de eiwitdraden (actine en myosine) in elkaar waardoor de cellen korter en dikker worden. Bij die contractie trekt de spiercel samen zoals een kurkentrekker. De naast elkaar gelegen cellen zijn met elkaar verbonden, waardoor de contracties over het gehele weefsel worden doorgegeven. Daardoor kunnen gladde spierweefsels over een grote afstand samentrekken en sterk in volume veranderen. Zo kan een volle urineblaas wel 500 ml urine bevatten. Tijdens het plassen trekken de gladde spieren samen zodat een lege urineblaas veel kleiner wordt.
myosine W Afb. 161 Samentrekken van een gladde spiercel
• Gladde spieren zijn opgebouwd uit spoelvormige cellen zonder dwarse streping. In elke cel ligt een centraal gelegen kern.
• Gladde spieren staan niet onder invloed van de wil. Wanneer gladde spiercellen ter hoogte van de motorische eindplaat een zenuwimpuls ontvangen, schuiven de actine en myosine over elkaar en wordt de spiercel korter en dikker.
















sinusknoop
rechterboezem
AV-knoop




rechterkamer

Cellen van de hartspier zijn kort en vertakt. Ze bevatten één centraal gelegen celkern skeletspieren vertonen ze een duidelijke streping omdat actine en myosine geordend zijn. De hartspiercellen zijn eveneens georganiseerd in spierbundels.



linkerboezem
linkerkamer
Tijdens elke hartslag trekken hartspiercellen bijna tegelijkertijd samen om zo het bloed in de aorta en de longslagader te stuwen. Soms loopt het fout: de hartspiercellen trekken niet langer synchroon maar eerder chaotisch samen: het hart fibrilleert. Daardoor kan het hart bijna geen bloed meer in de slagaders pompen.














Om het hart te laten samentrekken ontstaat er een elektrisch signaal op een plaats in het hart zelf, de sinusknoop. Omdat de hartcellen stevig met elkaar verbonden zijn, kan dat signaal van cel tot cel doorgegeven worden. Je ziet die verbinding als een donkere lijn. De sinusknoop is een soort natuurlijke pacemaker. Het elektrisch signaal dat over het hartweefsel wordt doorgegeven, laat de boezems en de kamers achtereenvolgens samentrekken. Daardoor wordt het bloed in twee stappen door het hart wordt gepompt: eerst vanuit de boezems naar de kamers en dan vanuit de kamers uit het hart.

Met een defibrillator dient men een elektrische schok toe. Daardoor trekken alle hartspiercellen samen en zo hoopt men het hart even te ‘resetten’ om de hartspiercellen terug synchroon aan het werk te krijgen. Snel optreden is de boodschap: op veel plaatsen hangen daarom inmiddels AED-apparaten (AED staat voor Automatische Externe Defibrillatoren) die stap voor stap instructies geven, zodat iedereen ze kan gebruiken.
De hartspier is opgebouwd uit korte, vertakte cellen die een dwarse streping vertonen en één kern bevatten. Het signaal voor de werking van het hart ontstaat in het hart. Via stevige verbindingen tussen de hartspiercellen kunnen hartspiercellen vlot met elkaar communiceren en samenwerken.
Verschillende soorten spieren in een dierlijk organisme maken bewegingen mogelijk die nodig zijn om te overleven. Zenuwimpulsen doen de in de spiervezels over elkaar schuiven waardoor de spier korter en dikker wordt.
Skeletspieren
Skeletspieren staan wel / niet onder controle van de wil en worden aangestuurd door het somatische zenuwstelsel.
Bouw Werking
Macroscopisch
• Skeletspieren bestaan uit meerdere , die zijn opgebouwd uit lange, cilindervormige
• Bindweefsel vormt de rond elke spierbundel en de aan de buitenzijde van de spier.
• Het bindweefsel verenigt zich buiten de tot een ,
waarmee de spier aan het bot is vastgehecht.

a hartspierweefsel
spierbuik

spierschede


b
Microscopisch
• De spiervezels bevatten meerdere kernen en zijn


b skeletspierweefsel
• De dwarse streping ontstaat door eiwitdraden of , die geordend zijn in
• Elke spiervezel ontvangt een aftakking van een motorisch axon, dat eindigt op een
. Alle spiervezels die samen aangestuurd worden door een motorisch axon noemen we een
.
• Skeletspieren trekken samen, maar zijn
Door het gebruik van deze spieren kunnen we lichaamsdelen
• Skeletspieren overbruggen meestal
. Wanneer een skeletspier samentrekt, bewegen de beenderen ten opzichte van elkaar.
• Skeletspieren zijn opgebouwd uit
. Wanneer die sarcomeren , trekken de spieren samen.
• De sarcomeren verkorten door het over elkaar glijden van de , namelijk

• Omdat spieren enkel samentrekken na het ontvangen van impulsen, werken ze meestal in paren: de
Gladde spieren
Gladde spieren staan wel / niet onder controle van de wil en worden aangestuurd door het autonome zenuwstelsel.

hartspierweefsel

skeletspierweefsel
spierweefsel

hartspierweefsel

Macroscopisch

hartspiercel


microscopisch beeld van hartspierweefsel
cellen bevinden zich in , maar die zijn moeilijk met het blote oog te onderscheiden.
Werking
• Gladde spieren trekken samen en zijn
• Gladde spieren bevinden zich in en kunnen de hele dag functioneren om levensprocessen te verrichten.
adde spieren zijn opgebouwd uit , zonder

dwarse streping met
gladde spiercel skeletspiervezel

microscopisch beeld van skeletspierweefsel
microscopisch beeld van glad spierweefsel
Hartspier Een hartspier trekt uit zichzelf samen.
Bouw
Macroscopisch
• Net als bij gladde spieren is het bij de hartspier moeilijk om met het blote oog verschillende te onderscheiden.
Microscopisch
• De hartspier is opgebouwd uit vertakte cellen die bevatten en zijn.


microscopisch beeld van hartspierweefsel hartspiercel


Werking
• De hartspier trekt en samen en is nagenoeg
• De hartspier kan gedurende het hele leven rondsturen in het lichaam zodat organen kunnen blijven functioneren.


a hartspierweefsel

b skeletspierweefsel

hartspiercel

skeletspiervezel

b glad spierweefsel
Mijn notities
gladde spiercel
microscopisch beeld van hartspierweefsel

microscopisch beeld van skeletspierweefsel

microscopisch beeld van glad spierweefsel
JANOG OEFENEN
1 Begripskennis
• Ik kan de verschillen in microscopische bouw tussen skeletspieren, gladde spieren en hartspieren herkennen en benoemen.
• Ik kan de relatie bespreken tussen de verschillende soorten spieren en het zenuwstelsel.
• Ik kan de macroscopische bouw van een skeletspier beschrijven
• Ik kan het verschil in werking tussen skeletspieren, gladde spieren en hartspier in verband brengen met de functies in het lichaam.
` Je kunt deze checklist ook op invullen bij je portfolio.
Mijn notities
Zijn de spierwerkingen in de volgende voorbeelden bewuste of onbewuste reacties op een prikkel? Schrap wat niet past.
a Wanneer er bij een inspanning te veel CO2 in het bloed aanwezig is, zullen de ademhalingsspieren versneld beginnen te werken.
bewuste / onbewuste reactie
b Het ritme van de hartslag past zich voortdurend aan de activiteit van het lichaam aan. bewuste / onbewuste reactie
c Lengte- en kringspieren in de zaad- en eileiderwand zorgen voor transport van cellen. bewuste / onbewuste reactie
d Het snel leren reageren op het startschot is voor een sprinter een belangrijk onderdeel van het trainingsprogramma.
bewuste / onbewuste reactie
Vul onder elke kolomtitel in welke spieren dat kenmerk vertonen.
Eén kernDwarse streping Kunnen samentrekken onbewust (niet onder invloed van de wil) bewust (onder invloed van de wil)
niet onder invloed van de wil
In de eerste kolom van de tabel vind je kenmerken van spierweefsel. Noteer in de tweede kolom of dit een kenmerk is van dwarsgestreept spierweefsel (D), hartspierweefsel (H) of glad spierweefsel (G).
Kenmerken Soort spierweefsel
komt voor bij alle skeletspieren spoelvormige cellen
langzaam samentrekken en vrijwel onvermoeibaar vertakte spiervezels
geordende ligging van dunne en dikke eiwitdraden
krachtig samentrekken en vrijwel onvermoeibaar
Op de afbeeldingen zie je drie typen spierweefsel. Omcirkel het type dat kan samentrekken onder invloed van de wil.



Skeletspieren hebben in doorsnede dezelfde opbouw. Met welk nummer zijn de delen op de figuur aangeduid?
Nummer
bundelschede spiervezel
pees spierschede
Rangschik van klein naar groot: spier, spiervezel, celkern, spierbundel.
Schrijf naast elk nummer in de tabel de naam van het aangeduide deel.
verzameling van een groot aantal spiervezels
draadvormige structuren waaruit spierfibrillen zijn opgebouwd
middengedeelte van een spier dat dikker is dan de uiteinden spiercellen met meerdere celkernen
eiwit waaruit de dikste filamenten zijn opgebouwd
fijne, draadvormige structuren waaruit een spiervezel is opgebouwd
Welke bewering is correct? Als een spier een impuls ontvangt dan… zal ze samentrekken. zal ze langer worden. kan ze langer worden of samentrekken.
Gebruik de afbeelding om de vragen te beantwoorden.
Bij het trappen van de bal maak je twee bewegingen na elkaar. Eerst trek je je onderbeen naar je bovenbeen toe en buig je je kniegewricht. Daarna strek je je been weer en trap je tegen de bal.
1 Welke spier doet je been buigen?
2 Welke spier doet je been strekken? Daartoe loopt er een spier over je kniegewricht heen.
` Verder oefenen? Ga naar .
onderste dijspier (hamstrings) kuitspier
bovenste dijspier (quadriceps) scheenbeenspier
LEERDOELEN
Je weet al:
L dat klieren effectoren zijn die zorgen voor een gepaste reactie op een prikkel;
L hoe endocriene klieren zijn opgebouwd en werken.
Je leert nu:
L hoe exocriene klieren zijn opgebouwd en werken;

L de bouw en werking van exo- en endocriene klieren vergelijken;
L de rol van exo- en endocriene klieren in het regelsysteem uitleggen.
Door het afscheiden van stoffen helpen klieren het lichaam optimaal te functioneren. Zo helpen zweetklieren de lichaamstemperatuur op peil houden en beschermt traanvocht de ogen. Bij de spijsvertering zorgen verschillende klieren voor spijsverteringssappen die nodig zijn voor het verkleinen van voedsel tot deeltjes die doorheen de darmwand opgenomen kunnen worden. Andere klieren helpen ons lichaam dan weer om gepast te reageren op situaties. Adrenaline, bijvoorbeeld, wordt in de bijnieren aangemaakt en zorgt in een stresssituatie voor een snellere ademhaling, een hogere hartslag en een verhoogde toevoer van energie naar de spieren zodat je kunt wegvluchten. In dit hoofdstuk gaan we na welke soorten klieren er bestaat en hoe klieren worden aangestuurd.
Hormonen worden geproduceerd in endocriene klieren. Die klieren produceren nuttige producten en scheiden die af in de bloedbaan. In ons lichaam komen er ook andere klieren voor, de exocriene klieren. Je onderzoekt nu de bouw en de functie van die soort klieren.
OPDRACHT 11
Bekijk aandachtig de onderstaande tekeningen en beantwoord de vragen.
S Afb. 164
Voorbeelden van exocriene klieren
A Traanklier
B Talgklier en zweetklier in de huid
C Kliercellen in de maagwand
Exocriene klier
traanklier talgklier
1 Waar scheiden die klieren hun producten af? Schrap wat niet past. in ruimtes die in rechtstreeks contact staan met de buitenwereld / in het bloed
OPDRACHT 12
Lees aandachtig de onderstaande tekst en benoem de vetgedrukte woorden uit de tekst op je tekening.
Wanneer we lekker voedsel zien of ruiken, komt het water ons letterlijk in de mond. Speeksel is een belangrijk onderdeel in de vertering van voedsel. Het zorgt ervoor dat zetmeel kan worden afgebroken. Om dat goed te laten verlopen, is er altijd een voorraadje speeksel aanwezig in de speekselklieren. Dat speeksel wordt opgeslagen in een bolvormig klierzakje met een afvoerbuis naar de mondholte. De wand van het klierzakje bestaat uit aaneengesloten cellen met daartussen gespecialiseerde kliercellen, die het speeksel produceren. Om het speeksel uit het klierzakje te persen, ligt er aan de buitenzijde van het klierzakje een laagje spierweefsel dat kan samentrekken om het speeksel via de afvoerbuis naar de mondholte te laten vloeien. Om het speeksel te produceren, zijn er bouwstoffen nodig die via het bloed in de haarvaten rond het klierzakje worden aangevoerd. Daarnaast moeten de klieren ook signalen of impulsen kunnen ontvangen van het zenuwstelsel om speeksel aan te maken of om de spieren te laten samentrekken. Een laagje zenuwvezels mag dus niet ontbreken op je tekening.
W Afb 165 Onderdeel van een speekselklier
Als je eet, wordt er een heleboel speeksel met je voedsel vermengd. De tekening die je net aangevuld hebt, is maar een klein onderdeel van een speekselklier. De volledige speekselklier kun je vergelijken met een tros druiven waarbij elke druif overeenkomt met jouw tekening. Alle kleine afvoerbuisjes monden dan uit in één grotere afvoerbuis.
oorspeekselklier
oorspeekselklier
ondertongspeekselklier
S Afb 166
ondertongspeekselklier
onderkaakspeekselklier
onderkaakspeekselklier
speeksel uit de afvoergang mondslijmvlies slagader ader
klierzakje (doorsnede)
haarvaten
klierzakje (buitenaanzicht)
Speekselklieren zijn exocriene klieren die trosvormig zijn opgebouwd uit verschillende klierzakjes.
Het uitwendig milieu is het lichaamsoppervlak en alle ruimtes in het lichaam die rechtstreeks in verbinding staan met de buitenwereld.
Niet elke klier is zo opgebouwd. De zweetklier is een kluwen van kronkelende buisjes en een afvoerbuis, die omgeven zijn door haarvaten. Er komen ook verspreid liggende kliercellen voor zoals de slijmklieren in de slijmvliezen van de mond, de darmwandklieren in de dunne darm … Zij geven hun klierproducten rechtstreeks aan het uitwendig milieu af.
'Exo' betekent 'naar buiten'.
Slijmerige klierproducten zoals oorsmeer hebben een afvoerbuis met een grotere diameter dan bijvoorbeeld klieren met een waterig product zoals speeksel.
Klieren zoals traanklieren, talgklieren, zweetklieren en oorsmeerklieren geven hun klierproducten of kliersappen af aan het lichaamsoppervlak. De klierproducten van speekselklieren en maagwandklieren worden afgegeven in ruimten in het lichaam die in rechtstreeks contact staan met de buitenwereld.
Het lichaamsoppervlak en alle ruimtes in het lichaam die rechtstreeks in verbinding staan met de buitenwereld, vormen het uitwendig milieu. Daarom noemen we ze exocriene klieren
De meeste klierproducten hebben een nuttige functie in ons lichaam. De talgklieren in de huid en aan de haarwortels, bijvoorbeeld, produceren talg, een vettige stof om huid en haren soepel te houden, om de oogleden tegen traanvocht te beschermen en om het binnendringen van ziekteverwekkers op de huid tegen te gaan. We spreken van secretie wanneer een klierproduct in ons lichaam een nuttige functie vervult. Wanneer het afgescheiden product een afvalstof is, dan spreken we van excretie. is. De zweetklieren vormen daarin een bijzonder geval. Zo vervult het water dat zweetklieren produceren een nuttige rol in de thermoregulatie van ons lichaam. Sommige zweetklieren kunnen met het water ook zouten uit het lichaam verwijderen, een vorm van uitscheiding. Zweetklieren kunnen dus een dubbele functie hebben.
Klieren of kliercellen staan via zenuwen in verbinding met de hersenen om signalen of impulsen te ontvangen; zij zijn effectoren en voeren de reactie uit.
Exocriene klieren scheiden hun klierproducten of kliersappen af aan het uitwendig milieu. Als klierproducten een nuttige rol vervullen in het lichaam spreken we van secretie. Afvalstoffen uitscheiden noemen we excretie. De meeste exocriene klieren beschikken over een klierzakje met een afvoerbuis naar het uitwendig milieu. Soms liggen kliercellen verspreid in de wand van een orgaan. Bouwstoffen voor klierproducten worden aangevoerd door het bloed via haarvaten
` Maak oefening 1 t/m 3 op p. 390.
OPDRACHT 13
Bekijk aandachtig de onderstaande figuren en beantwoord de vragen.
klierzakje (buitenaanzicht)
haarvaten
klierzakje (doorsnede)
speeksel uit de afvoergang mondslijmvlies slagader ader
strottenhoofd
spierlaagje
klierzakje
haarvaten
kliercel zenuwvezel
afvoerbuis voor speeksel W Afb 169 Speekselklier
kliercel
haarvat
schildklier
luchtpijp
slagader
ader
opname van stoffen, o.a. jodium afscheiding van thyroxine
klierblaasje W Afb. 170 Schildklier
1 Wanneer je de bouw van de speekselklier en de schildklier vergelijkt, merk je een aantal verschillen op. Noteer welke verschillen aanwezig zijn bij de speekselklier.
2 Waar scheiden de exocriene klieren hun klierproduct af?
3 Waar scheiden de endocriene klieren hun klierproduct af?
4 Thyroxine, de stof die door de schildklier geproduceerd wordt, speelt een rol in de groei en ontwikkeling van cellen in ons lichaam. Hoe noemen we stoffen die via het bloed getransporteerd worden om dan ergens anders in het lichaam een bepaalde rol te vervullen?
OPDRACHT 14
Welke rol spelen klieren in het regelsysteem in ons lichaam?
Je hebt al geleerd dat de endocriene klier in het regelsysteem zowel als receptor, conductor en effector beschouwd kan worden.
1 Bekijk de onderstaande voorbeelden. Verbind ze telkens met de rol van de exocriene of endocriene klier.
Voorbeeld
De speekselklier produceert speeksel om zetmeel af te breken tot glucose.
Een te lage bloedsuikerconcentratie wordt opgemeten door een alfacel in de eilandjes van Langerhans (verandering in concentratie van een stof).
Als reactie op een lage hoeveelheid zuurstofgas produceren kliercellen in de nieren het hormoon EPO.
De bijnier vangt een zenuwimpuls op de hersenen om adrenaline te produceren.
De alvleesklier produceert hormonen om een verandering in de suikerspiegel bij te sturen.
De talgklier produceert talg om de haren soepel te houden.
Schildklierstimulerend hormoon zet de schildklier aan om het schildklierhormoon aan te maken.
Tijdens het examen maakt de bijnier adrenaline aan.
2 Spelen endocriene en exocriene klieren dezelfde rol in het regelsysteem? Leg uit.
Rol
effector
conductor
receptor
Exocriene klieren:
• halen hun stoffen uit het bloed;
Endocriene en exocriene klieren verschillen in bouw en werking
De meeste exocriene klieren zijn opgebouwd uit een klierzakje met in de wand vele kliercellen. Die kliercellen maken klierproducten en scheiden ze af aan de buitenwereld via een afvoerbuis. Bloedvaten rondom de klier leveren de nodige stoffen aan de klier. Een exocriene klier kan ook een enkele kliercel zijn zoals de kliercellen in de wand van maag en darmen.
Zenuwvezels geleiden informatie van een prikkel naar die exocriene klieren, die dan reageren door kliersappen te produceren. Exocriene klieren zijn dus effectoren.
De meeste endocriene klieren zijn groepjes kliercellen of een klierblaasje omgeven door haarvaten, die de bouwstoffen voor de aanmaak van het klierproduct leveren. Endocriene klieren hebben geen afvoerbuis. Hun producten, hormonen, worden rechtstreeks aan het bloed afgegeven. Omdat de endocriene klier prikkels opvangt, is het een receptor
Samenvattend kun je stellen dat zowel exocriene als endocriene klieren helpen bij het reageren op veranderende of verstorende omstandigheden. De bijdrage van endocriene klieren aan een regelsysteem verschilt echter helemaal van die van de exocriene klieren. Exocriene klieren treden altijd op als effector Endocriene klieren spelen een rol als receptor in het regelsysteem; de geproduceerde hormonen zijn de signaalstoffen en zetten effectoren aan het werk.
• geven hun product af aan het uitwendig milieu;
• zijn klieren met klierzakjes en een afvoerbuis, maar soms ook verspreid liggende kliercellen;
• spelen een rol als effector in ons lichaam.
Endocriene klieren:
• halen hun bouwstoffen uit het bloed;
• geven hun product, hormonen, af aan het inwendig milieu;
• geven hun product rechtstreeks af aan het bloed, geen afvoerbuis;
• spelen een rol als receptor in ons lichaam. Ze reageren op een verandering in concentratie van een stof.
` Maak oefening 4 t/m 11 op p. 390-393.
De alvleesklier is een gemengde klier:
• exocriene functie: klierzakjes met kliercellen produceren alvleessap voor de spijsvertering. Dat alvleessap wordt aan het uitwendig milieu afgegeven via een afvoerbuis in de twaalfvingerige darm;
• endocriene functie: eilandjes van Langerhans met kliercellen die insuline en glucagon produceren voor de regeling van de bloedsuikerspiegel. Die hormonen worden in het bloed afgegeven.
EXOCRIENE KLIEREN
ENDOCRIENE KLIEREN
Gespecialiseerde kliercellen produceren stoffen. De kliercellen kunnen verspreid voorkomen of gegroepeerd in een klier. Bouwstoffen voor het klierproduct worden uit het bloed opgenomen via haarvaten.
spierlaagje
haarvaten
schildklier
luchtpijp
haarvat strottenhoofd
klierzakje kliercel zenuwvezel
afvoerbuis voor speeksel
Exocriene klieren geven hun klierproducten af aan het milieu.
Voorbeeld: spijsverteringssappen nodig voor de afbraak van voedsel worden afgegeven in het spijsverteringsstelsel.
Bouw:
• of verspreid liggende cellen
•
In het regelsysteem fungeren exocriene klieren als in het regelsysteem. Zij zorgen voor de op de prikkel.
Voorbeeld: speekselklieren produceren speeksel voor de afbraak van voedsel.
kliercel
klierblaasje
Endocriene klieren geven hun klierproducten, , af aan
het milieu
Voorbeeld: hormonen voor het regelen van de stofwisseling bij de schildklier.
Bouw:
• groepjes kliercellen of
• geen
In het regelsysteem fungeren endocriene klieren als . Ze zijn gevoelig voor zenuwimpulsen of concentratieveranderingen van bepaalde stoffen en reageren daarop met de productie van hormonen. Die hormonen kunnen meerdere effectoren activeren om te reageren.
Voorbeeld: de bijnier produceert adrenaline na een zenuwsignaal. Adrenaline zet de effectoren aan het werk.
JANOG OEFENEN
Begripskennis
• Ik kan beschrijven hoe exocriene klieren zijn opgebouwd.
• Ik kan de werking van exocriene klieren uitleggen
• Ik kan de bouw en werking van exo- en endocriene klieren vergelijken
• Ik kan de rol van exo- en endocriene klieren in het regelsysteem uitleggen
` Je kunt deze checklist ook op invullen bij je portfolio.
Mijn notities
Worden bij de volgende klieren de klierproducten afgegeven aan ruimtes in contact met de buitenwereld of afgegeven in het bloed? Zet een kruisje in de juiste kolom.
Klieren
oorsmeerklieren
bijnieren
lever (galsap) eierstokken
speekselklier
traanklier
schildklier
melkklier
Ruimtes in contact met de buitenwereld In het bloed
Zweet wordt gemaakt door zweetklieren. Via welke structuur komt het zweet aan het lichaamsoppervlak terecht?
Waarom zijn slijmbekercellen in de slijmvliezen die de binnenzijde van de luchtpijp bekleden exocriene klieren?
Noteer onder elke klier of het gaat om een endocriene of exocriene klier. Verklaar je antwoord.
Verklaring:
Talgklieren produceren talg. Talg is een vetachtige substantie die de huid en de haren glanzend en soepel houdt.
Zijn talgklieren endocriene of exocriene klieren? Verklaar.

Eierstokken produceren oestrogeen. Dat stimuleert de ontwikkeling van de vrouwelijke geslachtsorganen, de secundaire geslachtskenmerken en beïnvloedt het gedrag. Verder bevordert oestrogeen de aangroei van het baarmoederslijmvlies tijdens de menstruatiecyclus. Waarom noemen we eierstokken endocriene klieren?
Zijn de volgende stoffen klierproducten van exocriene of endocriene klieren? Zet een kruisje in de juiste kolom.
Exocriene klier Endocriene klier
EXOCRIENE / ENDOCRIENE klier
secretie
• plaats: uitwendig / inwendig milieu
• product: een hormoon / geen hormoon
bouw
• klierzakje: aanwezig / afwezig
• afvoerbuis: aanwezig / afwezig
• omgevende haarvaten: aanwezig / afwezig
functie
• rol in het regelsysteem: receptor / conductor / effector
• produceert een stof die: als conductor optreedt / een reactie voltrekt
voorbeelden
traanklier, schildklier, speekselklier, bijnier
Kruis de juiste antwoorden aan.
De alvleesklier doet aan secretie.
De alvleesklier produceert verteringsenzymen.
EXOCRIENE / ENDOCRIENE klier
secretie
• plaats: uitwendig / inwendig milieu
• product: een hormoon / geen hormoon
bouw
• klierzakje: aanwezig / afwezig
• afvoerbuis: aanwezig / afwezig
• omgevende haarvaten: aanwezig / afwezig
functie
• rol in het regelsysteem: receptor / conductor / effector
• produceert een stof die: als conductor optreedt / een reactie voltrekt
voorbeelden
traanklier, schildklier, speekselklier, bijnier
In de alvleesklier komen groepjes cellen voor die hormonen produceren
Verteringsenzymen en hormonen uit de alvleesklier worden via een ader afgevoerd.
De alvleesklier of pancreas wordt ook wel een gemengde klier genoemd: het heeft zowel een endocriene als een exocriene functie. Bestudeer de tekening van de alvleesklier en beantwoord de vragen.
alvleesklier
galsap
alvleessap
spijsverteringssappen alvleessap en galsap
twaalfvingerige darm klierzakje
Hormonen worden in het bloed afgegeven.
eilandje van Langerhans afvoerbuis alvleessap productie van alvleessap, in klierzakje bloedvat
α-cellen produceren het hormoon glucagon.
β-cellen produceren het hormoon insuline.
Kliercel produceert enzymen voor de vertering.
a Wat is de endocriene functie van de alvleesklier?
b Wat is de exocriene functie van de alvleesklier?
Noteer bij elk voorbeeld de rol van de klier of het hormoon in het regelsysteem. Kies uit de volgende termen: receptor, conductor en effector.
a De zweetklier produceert water om het lichaam af te koelen.
b Progesteron zet het baarmoederslijmvlies aan om zich voor te bereiden op een eventuele innesteling van het embryo.
c De melkklier produceert moedermelk nadat de baby aan de tepel zoog.effector
d De β-cel is gevoelig voor een verandering van de glucoseconcentratie in het bloed.
e De ontwikkeling van de mannelijke geslachtsorganen worden gestimuleerd door testosteron.
f De bijnieren produceren adrenaline bij spanning. ` Verder oefenen? Ga naar .
Zenuwstelsel
Hormonaal stelsel
conductor
Geleiding van een elektrisch signaal via neuronen.Hormonen zijn signaalstoffen: ze brengen informatie over. Ze worden gemaakt in endocriene klieren en uitgescheiden in de bloedbaan.


• Dwarsgestreepte spieren zijn vaak verbonden aan skeletdelen. Ze staan onder invloed van de wil en worden dus aangestuurd door het somatische zenuwstelsel.




• Gladde spieren in wanden van organen en buizen worden aangestuurd door het autonome zenuwstelsel en staan niet onder invloed van de wil.
• De hartspier werkt als een orgaan op zichzelf.
• Exocriene klieren staan in contact met de buitenwereld.


Ze geven stoffen af aan het uitwendig milieu, bv. zweetklieren. De excretie gebeurt via een afvoergang.
• Dwarsgestreepte spieren: de spier trekt samen en laat onder andere skeletdelen ten opzichte van elkaar bewegen.
• Door het samentrekken van de gladde spieren werken de organen.
• De hartspier werkt als een pomp die ervoor zorgt dat het bloed wordt rondgestuurd.
• Exocriene klieren scheiden een secretieproduct af in het uitwendig milieu.


In het regelsysteem fungeren dwarsgestreepte spieren, gladde spieren en exocriene klieren als effectoren: ze reageren op signalen afkomstig van het zenuwstelsel.



De effectoren zijn doelwitcellen. Zij kunnen reageren op een specifiek hormoon omdat een doelwitcel een passende membraanreceptor bevat.
De effectoren kunnen exocriene klieren, endocriene klieren maar ook andere groepen cellen zijn, zoals in spieren en organen. Endocriene klieren geven stoffen af aan het bloed, dus aan het inwendig milieu.









Naargelang de aard van de effector treedt er een andere reactie op:
• klieren zullen klierproducten produceren;
• spieren kunnen ontspannen of samentrekken;
• organen kunnen geactiveerd of geblokkeerd worden. samenhang tussen conductoren en effectoren of regelsysteem
In het regelsysteem spelen endocriene klieren een rol. Endocriene klieren fungeren als receptor. Ze worden geprikkeld door een zenuwimpuls of door een verandering in concentratie van belangrijke stoffen. Een endocriene klier produceert hormonen, die meerdere effectoren aan het werk kunnen zetten.
In de CHECK IN leerde je dat zoogdieren, en dus ook de mens, hun jongen zogen. Daarvoor wordt melk aangemaakt in de melkklieren in de borst.
1 Vul aan.

zenuwimpuls naar de hypothalamus hypothalamus
voorkwabhypofyse prolactine oxytocine
achterkwabhypofyse
W Afb. 171 Regelsysteem borstvoeding
De melkklieren zijn
klieren. De melk wordt aangemaakt in en wordt via een afvoerbuisje naar buiten gebracht. Wanneer de baby zuigt aan de tepel worden receptoren geprikkeld. Daardoor ontstaat een zenuwimpuls die aan de hersenen informatie doorgeeft. De hypofyse wordt door die zenuwimpuls gestimuleerd om hormonen aan te maken.
De hypofyse is een klier. Ze produceert de hormonen prolactine en oxytocine. Die hormonen worden in de bloedbaan.
2 Welke zijn de effectoren van de hormonen prolactine en oxytocine?
3 Omcirkel het juist antwoord. Verklaar je keuze. De spiertjes rondom de melkgangen zijn dwarsgestreepte / gladde spieren.
4 Bekijk afbeelding 171 aandachtig en vul het onderstaande schema aan. prikkel
conductor effector hormonen zenuwimpuls
5 Welke prikkel houdt de melkproductie in gang?
6 Kun je hier spreken over een feedbackmechanisme?
7 Is dat een voorbeeld van een positieve of negatieve feedback? Verklaar je keuze.

De effectoren, spieren en klieren, ontvangen een impuls om een reactie uit te voeren. Spieren trekken samen. Er zijn drie verschillende soorten spierweefsel: dwarsgestreept, glad en hartspierweefsel. Klieren maken een klierproduct. Wanneer het klierproduct wordt afgegeven aan het uitwendig milieu is dat een exocriene klier. Wanneer het klierproduct via het bloed wordt afgegeven aan het inwendig milieu, spreken we van een endocriene klier.
De kliercellen van de melkklier in de borst van de moeder worden gestimuleerd door het hormoon prolactine om melk aan te maken. Door het hormoon oxytocine worden de gladde spiertjes rond de melkgangen samengetrokken zodat de melk spuit in het mondje van de baby. De melkklier is dan ook een exocriene klier.

De wetenschap is continu op zoek naar een ruimer beeld van het heelal.
Sinds 2018 wordt ‘de planetenjager’ TESS (Transiting Exoplanet Survey Satellite) gebruikt om op zoek te gaan naar leven en bewoonbare planeten buiten ons zonnestelsel. Het is de krachtigste telescoop tot nog toe. In januari 2020 werd voor het eerst een bewoonbare planeet ontdekt buiten ons zonnestelsel. De planeet kreeg voorlopig de naam ‘TOI700d’ en is meer dan 100 lichtjaar van onze aarde verwijderd.

Met preciezere apparatuur slagen wetenschappers er ook in om steeds kleinere deeltjes te bekijken. In de lessen natuurwetenschappen heb je vast al gehoord of gebruikgemaakt van een microscoop.
Raad wat je hier uitvergroot ziet!




Atomen zijn voor de mens niet zichtbaar met het blote oog, maar ondertussen zijn we in staat steeds kleinere deeltjes te bekijken. Organismen, onderdelen van planten … die je normaal niet kunt zien met het blote oog, worden plots zichtbaar.
In 1931 werd de eerste elektronenmicroscoop gebouwd. We zijn daardoor nu in staat om kleine cellulaire onderdelen tot een paar miljoen keer of meer groter te zien.
De elektronenmicroscoop van de Vrije Universiteit Brussel
` Hoever hebben we stoffen al kunnen ontleden?
` Zijn we al beland bij het kleinste deeltje?
We zoeken het uit!
OPDRACHT 1
Wat weet je al over de elementen?
1 Elementen worden voorgesteld door een symbool. Vul de volgende tabel verder aan.
2 Welke drie grote groepen van elementen kunnen we onderscheiden in het PSE?
3 Markeer op het volgende PSE de metalen in het rood, de niet-metalen in het groen. en de edelgassen in het geel.
OPDRACHT 2
Lees de tekst en fris je kennis over mengsels, stoffen, atomen en materie op.
Elk mengsel bestaat uit een of meerdere soorten stoffen. In het voorbeeld van spuitwater (afbeelding 176) zien we dat stoffen – of materie – bestaan uit nog kleinere verbindingen. En ook die verbindingen kunnen nog verder opgedeeld worden tot we uiteindelijk bij atomen uitkomen.
spuitwater
atomen verbindingen zuivere stof mengsel
S Afb. 176 Spuitwater
Een voorwerp is opgebouwd uit een bepaalde materie.
• Materie is een verzamelnaam voor alle soorten stoffen.
• Stoffen zijn verbindingen van deeltjes of atomen.
• Een element is een type of atoomsoort.
• Een atoom is een deeltje van dat type.
LEERDOELEN
Je kunt al:
L begrijpen dat wetenschappelijke kennis het resultaat is van voortdurend onderzoek.
Je leert nu:

L de historische evolutie van de atoommodellen van Dalton tot en met Bohr begrijpen en de evolutie chronologisch weergeven;
L de bouw van een atoom (volgens het gecombineerde atoommodel van Bohr-Rutherford) toelichten;
L het atoommodel met een tekening weergeven.


Net als wij willen wetenschappers steeds kleinere deeltjes ontleden. De kennis die we vandaag hebben, is te danken aan eeuwen van voortbouwend onderzoek en wetenschappelijke proeven. Een ontdekking is vaak het werk van één wetenschapper of één team, maar een wetenschappelijke theorie is het resultaat van vele bijdragen.
In module 02 heb je geleerd dat er dus verschillende soorten elementen bestaan. Van een handvol daarvan ken je intussen het symbool en de naam. Elke stof is opgebouwd uit deze bouwstenen: de atomen. Maar hoe is zo’n atoom zelf opgebouwd?
Onze wetenschappelijke kennis is er in de loop der tijd sterk op vooruitgegaan. Nieuwe technologieën zorgden ervoor dat onze inzichten in de bouw van het atoom veranderden doorheen de eeuwen. Bijgevolg moesten de modellen die we gebruiken om een atoom voor te stellen, aangepast worden. Er is ondertussen al een hele weg afgelegd, waarbij wetenschappers steeds verder bouwden op de kennis van hun voorgangers.
De Griekse filosofen Democritus en Leucippus formuleren de grondbeginselen van het atomisme, de leer die stelt dat alle stoffen zijn opgebouwd uit ontelbare minuscule en ondeelbare blokjes: atomen (Grieks: atomos = ondeelbaar).

De Engelsman John Dalton stelt in navolging van de filosofen uit de Oudheid dat een stof bestaat uit kleine ‘bollen’. Deze bollen, die nog alle eigenschappen van de stof bezitten, noemt ook hij atomen.

1902
Joseph John Thomson is de eerste om het elektron te ‘meten’. De Brit beschrijft een atoom als een licht positief geladen bol met binnenin zeer kleine elektronen. Voortbouwend op de experimenten van Crookes en Goldstein heeft hij het over vrij bewegende elektronen.

1911
De Nieuw-Zeelander Ernest Rutherford verenigt alle voorgaande theorieën in het idee dat een atoom bestaat uit een centrale positief geladen kern, omgeven door een elektronenmantel met negatief geladen elektronen. Hij komt tot dat besluit aan de hand van het beroemde bladergoudexperiment.
1913
De Deen Niels Bohr stelt dat elektronen niet willekeurig rond de positieve kern bewegen, maar dat ze zich op zogenaamde elektronenschillen bevinden, die groter worden naarmate ze verder van de kern verwijderd zijn. En hoe verder van de kern, hoe meer elektronen de schil kan bevatten. Het aantal elektronen op de buitenste schil bepaalt de eigenschappen van het atoom.

Sir James Chadwick ontdekt het neutron, een elementair deeltje zonder elektrische lading dat zich in de kernen van alle atomen bevindt (uitgezonderd waterstof). De massa van een neutron is ongeveer gelijk aan de massa van een proton. In tegenstelling tot een proton, is een neutron echter ongeladen.


Met behulp van proeven en opzoekwerk krijgen ze inzicht in hun onderzoeksvragen en hypotheses, om zo een denkbeeld of model te vormen. Een model is een voorstelling van de werkelijkheid, gebaseerd op wetenschappelijke waarnemingen. Het is geen letterlijke weergave van de werkelijkheid. Zolang experimenten verklaard kunnen worden met het bestaande model, blijft dat model gelden. Maar omdat er steeds nieuwe inzichten ontstaan (en meer nauwkeurige meetapparatuur), worden de bestaande modellen voortdurend aangepast en verfijnd. Modellen zijn dan ook dynamisch.
In de wetenschappen gebruiken we modellen die een voorstelling van de werkelijkheid bieden op basis van wetenschappelijke waarnemingen. Een atoommodel is op die manier een voorstelling van een atoom, op basis van de wetenschappelijke waarnemingen van dat moment. Omdat de wetenschappelijke kennis toeneemt, wordt het model aangepast aan de nieuwe inzichten. Het atoommodel is dus dynamisch.
Laten we nu enkele belangrijke waarnemingen en experimenten nader bekijken. Die waarnemingen zorgden er immers voor dat, na het atoommodel van Dalton, eerst Thomson, dan Rutherford en ten slotte Bohr met een nieuwe voorstelling van het atoommodel kwamen.
Volgens Dalton zijn alle stoffen opgebouwd uit onzichtbaar kleine, ondeelbare bouwstenen. Dat noem je atomen. Een atoom is volgens Dalton bolvormig Alle atomen van een gegeven element bezitten unieke eigenschappen en een eigen massa.
Dalton (1803)
kennis voorstelling atoom
• Stoffen bestaan uit onzichtbaar kleine deeltjes: atomen.
• Een atoom is bolvormig
• Een atoom is massief en ondeelbaar.
• Een atoom is een element met een massa en grootte die specifiek is voor elk element.
OPDRACHT 3
1 Onderzoeksvraag
Hoe verklaar je volgend verschijnsel met het atoommodel van Dalton?
2 Werkwijze
• We wrijven een plastieken staaf op met een wollen doek.
• Hou de staaf naast een fijne waterstraal of boven enkele papiersnippers.
3 Waarneming
Thomson toonde via gelijkaardige experimenten aan dat er geladen deeltjes kunnen loskomen uit het atoom. Atomen zijn dus niet de kleinste deeltjes, ze bevatten nog kleinere, geladen deeltjes. Die deeltjes, die kunnen vrijkomen, noem je elektronen. Ze dragen een negatieve lading.
Thomson beschreef het atoom met het zogenaamde krentenbolmodel: een positieve, geleiachtige massa die het hele atoom omvat, met daarin negatief geladen elektronen die kunnen vrijkomen. Het atoom in zijn geheel is elektrisch neutraal
Thompson (1897) kennis voorstelling atoom
• Een atoom is bolvormig.
• Een atoom is elektrisch neutraal.
• Een atoom bevat een positieve, geleiachtige massa die het hele atoom omvat.
• Er zijn negatief geladen elektronen doorheen het atoom.
elektron positieve massa
De Nieuw-Zeelander Ernest Rutherford verenigt alle voorgaande theorieën in het idee dat een atoom bestaat uit een centrale positief geladen kern (door positief geladen deeltjes of protonen), omgeven door een elektronenmantel met negatief geladen elektronen. Hij komt tot dat besluit aan de hand van het beroemde bladergoudexperiment.
WEETJE
Het bladergoudexperiment
Rutherford wilde aantonen dat het atoommodel van Thomson beantwoordde aan de werkelijkheid, namelijk dat het een massieve, geladen bol was. Hij gebruikte daarvoor een dunne metaalfolie die hij bestraalde met radioactieve deeltjes (alfadeeltjes).
Hypothese: als een atoom een geleiachtige massa is waarbij de massa gelijk verdeeld is, dan gaat alle straling er rechtlijnig door.
Waarneming: 99 % van alle straling gaat rechtlijnig door de metaalfolie maar 1 op 8 000 alfadeeltjes kaatst terug.
Besluit: Het atoommodel van Thomson klopt niet.
Dunne goudfolie
Detector
Radioactieve bron
Straling met alfadeeltjes

Rutherford vermoedde dat er zich in de kern ook nog neutrale deeltjes moesten bevinden. James Chadwik bewees die hypothese in 1932. Die deeltjes werden later neutronen genoemd.
Rutherford (1912)
kennis voorstelling atoom
• Kern: centraal in het atoom gelegen, massief
• De kern bestaat uit positieve geladen protonen (p+) en ongeladen neutronen (n°)
• Elektronenmantel: zo goed als lege (ijle) ruimte rond de kern. De elektronenmantel bestaat uit zeer kleine, negatief geladen elektronen die rond de kern zweven.
• Atoom: elektrisch neutraal. Er zijn dus evenveel protonen in de kern als elektronen rond de kern.
De Deen Niels Bohr stelt dat elektronen niet willekeurig rond de positieve kern bewegen, maar dat ze zich op zogenaamde elektronenschillen bevinden, die groter worden naarmate ze verder van de kern verwijderd zijn.
Bohr (1913)
kennis voorstelling atoom
• Kern: centraal in het atoom gelegen, massief.
De kern bestaat uit positieve geladen protonen (p+) en ongeladen neutronen (n°).
= Rutherford
• Elektronenschillen: de negatief geladen elektronen bewegen op welbepaalde afstanden rond de kern op schillen.
Een atoom bevat positief geladen protonen en ongeladen neutronen in de kern, elektronen zijn verdeeld op schillen rond die kern.
Een atoom bevat een gelijk aantal elektronen en protonen en is elektrisch neutraal.
` Maak oefening 1 t/m 3 op p. 408.
Uit welke deeltjes is een atoom opgebouwd, wat is hun lading en waar in het atoom bevinden die deeltjes zich?
Deeltje van het atoom Lading Plaats in het atoom
Zet een kruisje bij het passende atoommodel.
Deeltje van het atoom
Een atoom is elektrisch neutraal en bevat evenveel positieve als negatieve ladingen.
Een atoom bestaat vooral uit ijle ruimte
Een atoom heeft een bolle vorm.
Een atoom is massief.
Een atoom bevat elektronen.
Naast elektronen bevat een atoom ook protonen en neutronen.
Elektronen bewegen zich niet zomaar willekeurig rond de kern, maar op welbepaalde afstanden.
Je ziet hier een druppel water. We zoomen even in: benoem de delen op elke figuur.
Verder oefenen? Ga naar
LEERDOELEN
Je kunt al:
L toelichten dat wetenschappers van oudsher geïnteresseerd zijn in de samenstelling en opbouw van materie;
L uitleggen dat atomen bestaan uit protonen, neutronen en elektronen.
Je leert nu:
L de samenstelling van atomen afleiden uit het atoomnummer en het massagetal.
We gaan op zoek naar nog kleinere deeltjes en proberen het atoom zelf te ontleden. Dat kan al lang niet meer met voor ons beschikbaar materiaal, maar gelukkig zoeken wetenschappers voor ons uit hoe het zit!
Het atoom is de bouwsteen van materie. Het is niet meer deelbaar via chemische processen. Toch is een atoom opgebouwd uit nog kleinere deeltjes.
De kern van een atoom is opgebouwd uit protonen en neutronen.
• de protonen zijn positief geladen deeltjes, ze hebben een eenheidslading +1;
• de neutronen hebben geen lading.
Rond de kern bevinden zich negatief geladen elektronen. Protonen, elektronen en neutronen noem je elementaire deeltjes.
elementair deeltjeplaats van voorkomenladingeenheidslading
proton p+ kern (+1,6 · 10–19 C) + 1 neutron n° kern 0 elektron e– wolk/mantel (–1,6 · 10–19 C) – 1
De elektronen bewegen zich op vaste afstanden rond de atoomkern: schillen
Een atoom bevat trouwens evenveel elektronen rond de kern als protonen in de kern. Een atoom is bijgevolg ongeladen
Protonen, elektronen en neutronen vormen samen een atoom. Je noemt dat de elementaire deeltjes. Een atoom in zijn geheel heeft geen lading.
Vermits een atoom elektrisch ongeladen is, moet het evenveel negatieve als positieve ladingen hebben. Dat betekent dat het aantal elektronen rond de kern gelijk moet zijn aan het aantal protonen in de kern.
Om te weten hoeveel protonen er in de atoomkern zitten, kijken we naar het atoomnummer Z. Je vindt het atoomnummer Z links bovenaan bij elk element in het periodiek systeem van de elementen (PSE).
• Een element met bijvoorbeeld atoomnummer Z = 8 heeft enerzijds dus altijd 8 protonen.
• Anderzijds zijn atomen met 8 protonen in de atoomkern altijd zuurstofatomen.
• Aangezien het aantal elektronen rond de kern gelijk moet zijn aan het aantal protonen in de kern, is het aantal elektronen bijgevolg ook gelijk aan het atoomnummer Z. In ons voorbeeld heeft zuurstof dus ook 8 elektronen.
• In een periodiek systeem zijn alle gekende atoomsoorten weergegeven door hun symbool.
• De eenheidslading van protonen is +1, de eenheidslading van elektronen is -1, neutronen zijn ongeladen.
• Atomen met hetzelfde aantal protonen zijn atomen van hetzelfde chemische element
• Het aantal elektronen rond de kern van een atoom moet gelijk zijn aan het aantal protonen in de kern.
• Elk element heeft een uniek atoomnummer (Z). Dat getal geeft het aantal protonen weer in de kern.
• Het aantal elektronen is bijgevolg ook gelijk aan het atoomnummer Z, het getal linksboven in elk vakje van het PSE.
OPDRACHT 4
Vul de tabel aan.
element atoomnummer Zaantal protonenaantal elektronen
Protonen en neutronen hebben dezelfde massa Elektronen hebben een veel kleinere massa dan protonen en neutronen, namelijk ongeveer 2000 keer kleiner. Daarom gaan we de massa van het elektron verwaarlozen bij het bepalen van de massa van het atoom. De massa van het atoom wordt dus volledig bepaald door de massa van de kern of dus door de massa van het aantal protonen en de neutronen. Die kerndeeltjes samen noemen we ook wel nucleonen
S Afb. 179
De werkelijke massa van een proton en een neutron is erg klein (namelijk 1,66 · 10–24 g), waardoor je beter met een relatieve massa werkt. Aangezien een proton en neutron dezelfde massa hebben, geef je die een relatieve massa van 1. Een elektron is in vergelijking nog 2000 keer kleiner, en stel je gelijk aan 0
elementair deeltje plaats van voorkomen massa relatieve massa
proton p+ kern (1,66 · 10–27 kg) 1 neutron n° kern (1,66 · 10–27 kg) 1 elektron e– wolk/mantel ~ mproton 0
Massa van de elementaire deeltjes ten opzichte van elkaar 1 2000
OPDRACHT 5
Vul de tabel aan.
Wanneer je het aantal elementaire deeltjes in een atoom bepaalt, maak je gebruik van het massagetal A. Het massagetal en de relatieve atoommassa zijn dus synoniemen. De relatieve atoommassa wordt samen met het atoomnummer Z vermeld bij een atoom in het PSE. Het massagetal A vind je door de relatieve atoommassa uit het PSE af te ronden. Je noteert GEEN cijfers ACHTER de komma. Je moet het dus steeds afronden op een geheel getal.
Het massagetal geeft dan het aantal deeltjes in de kern weer = aantal protonen (Z) + aantal neutronen (N).
A X A = # nucleonen = # protonen + # neutronen Z = # protonen = # elektronen
Je kunt dus stellen dat:
A (massagetal) = Z (aantal protonen) + N (aantal neutronen)
Als je de formule omvormt, kun je we ook steeds het aantal neutronen in de kern berekenen als A gekend is.
N = A – Z
• Het massagetal A geeft de afgeronde (relatieve) massa van een atoom. Je vindt dat getal terug in het PSE.
• Het massagetal geeft het aantal deeltjes in de kern = AANTAL protonen en neutronen = AANTAL nucleonen.
De massa van het atoom wordt bepaald door de massa van de kern
De massa van de elektronen wordt verwaarloosd. atoomnummer Z = aantal p+ = aantal e–massagetal A = aantal p+ + aantal n0 = aantal nucleonen
aantal p+ = Z aantal e– = Z aantal n0 = A – Z
` Maak oefening 1 t/m 4 op p. 413.
Een element heeft 20 neutronen in de kern en een atoommassa van 40 u. Over welk element gaat het?
Hoeveel neutronen vind je in een lithiumkern?
Hoeveel elektronen heeft een loodatoom?
Vervolledig de tabel.
a Geef de samenstelling van de kern van een zwavelatoom (met atoomnummer 16 en massagetal 32).
b Geef de samenstelling van het kwikatoom met A = 200.
` Verder oefenen? Ga naar .
LEERDOELEN
Je kunt al:
L toelichten dat een atoom elektrisch neutraal is;
L toelichten dat het aantal elektronen wordt gegeven door het atoomnummer Z;
L toelichten dat elektronen niet in de kern zitten, maar errond;
L toelichten dat de massa van de elektronen verwaarloosbaar klein is;
L toelichten dat elektronen een negatieve lading hebben.
Je leert nu:
L de regels voor elektronenverdeling toepassen;
L het gecombineerd atoommodel van Bohr-Rutherford tekenen;
L de elektronenconfiguratie van de eerste twintig elementen schrijven.

1 Schillen rond de nucleus
In hoofdstuk 2 leerde je al hoeveel elektronen een specifiek atoom heeft. Maar waar zitten die elektronen nu precies? Zit er een patroon achter, of mogen ze gaan en staan waar ze willen? Ook dat namen wetenschappers al onder de loep.
We zagen dat Niels Bohr, de theorie van Rutherford uitdiepte door te stellen dat elektronen op cirkelvormige schillen rond de atoomkern of nucleus bewegen. Elektronen bewegen dus niet willekeurig rond de kern.
schil 7
schil 6
Afhankelijk van het aantal elektronen, kan een atoom tot 7 schillen bevatten. Die schillen worden aangeduid met een letter
schil 5
schil 4
schil 3
schil 2
schil1
De eerste schil, die zich dus het dichtst bij de kern bevindt, wordt aangeduid met de letter K. De tweede schil met de letter L, de derde met de letter M enzovoort.
Bohr duidde zijn eerste schil niet aan met de letter A, omdat een logische volgorde verloren zou gaan als later nog extra schillen dichter bij de kern zouden worden ontdekt. Door te beginnen met de letter K, kon hij eventuele nieuwe schillen dichter bij de kern aanduiden met J, L enzovoort, waarbij een logische volgorde van opeenvolgende letters behouden blijft. Uiteindelijk bleek dat er geen schillen dichter bij de kern bestaan.
Elektronen bevinden zich op schillen, maar het maximale aantal elektronen per schil is beperkt. Dat maximumaantal vind je in deze tabel:
Schilnummer nLetterMaximumaantal elektronen op de schil
Je kunt het aantal elektronen voor de eerste 4 schillen onthouden aan de hand van de formule 2n² (waarbij n het schilnummer is).
Elektronen verspreiden zich niet willekeurig over bepaalde schillen. De opvulling van de schillen volgt een bepaald patroon
Met de onderstaande ‘regels’ kun je de opvulling van de schillen voor heel wat elementen opstellen. Later zul je zien dat er afwijkingen of uitzonderingen op bestaan.
1 Elektronen plaatsen zich zo veel mogelijk op de schillen het dichtst bij de nucleus. Dus eerst de K-schil, pas daarna de L-schil enzovoort.
2 Op de buitenste schil bevinden zich maximaal 8 elektronen
3 Op de voorlaatste schil bevinden zich maximaal 18 elektronen.
4 Bij de andere schillen gaan de eerste 4 elektronen zich zo ver mogelijk van elkaar plaatsen. De volgende 4 elektronen vormen steeds met een ander elektron een elektronenpaar.
Als de buitenste schil volledig is opgevuld, bevat ze twee (voor de eerste schil) of acht elektronen. Wanneer een atoom een volledig gevulde buitenste schil heeft, spreken we van de edelgasconfiguratie
Je kunt de elektronenconfiguratie op drie manieren geven:
A Via een cijfermatige voorstelling: opsomming van het aantal elektronen per schil.
B Via een schillenmodel: de elektronen worden met stippen op cirkels rond de kern voorgesteld.
C Via de Lewisnotatie of elektronenstipmodel: enkel de valentieelektronen (= elektronen op de buitenste schil) worden getoond.
• Elektronen vullen eerst de K-schil, pas daarna de L-schil enzovoort.
Als de schil volzet is, vul je de volgende schil op.
• Op de buitenste schil bevinden zich maximaal acht elektronen (ook al kunnen er meer op).
Bijvoorbeeld: als N de buitenste schil is, heb je maximaal acht elektronen en niet 32.
• Je noteert per schil het aantal elektronen voorafgegaan door de letter van de schil.
Bijvoorbeeld: zuurstof O → K: 2 L: 6
• Je kunt ook het aantal elektronen opsommen, gescheiden door een komma.
Bijvoorbeeld: zuurstof O → 2, 6
Je kunt de elektronenconfiguratie ook duidelijk maken met een schets van de elektronen op de bezette schillen. Je volgt deze afspraken:
• Centraal noteer je de lading van de kern (= atoomnummer Z, gevolgd door een +)
• Je tekent de eerste schil rond het ladingsgetal.
• Elk elektron wordt voorgesteld door een stip.
• Op een schil plaatsen de eerste vier elektronen zich zo ver mogelijk uit elkaar (in de vier windrichtingen).
Ze vormen een ongepaard elektron
De volgende vier elektronen vormen steeds met een ander elektron een elektronenpaar. Dus vanaf het vijfde elektron worden er elektronenparen of doubletten gevormd, voorgesteld als twee stippen naast elkaar. Opgelet! Op de K-schil kunnen maximaal twee elektronen. Die teken je altijd als een doublet.
• Je tekent enkel de schillen waarop elektronen voorkomen. Als een element dus maar twee bezette schillen heeft, teken je enkel die twee schillen.
• De elektronen op de buitenste schil noem je de valentie-elektronen
VOORBEELD ELEKTRONENCONFIGURATIE VAN STIKSTOF
• symbool: N
• atoomnummer: Z = 7
• cijfermatige elektronenconfiguratie: 2, 5
• schillenmodel 7+
In dit model noteer je alleen de valentie-elektronen. Die elektronen bepalen de eigenschappen van een atoom. Ze spelen een rol bij het vormen van de chemische bindingen tussen atomen.
• Je noteert het symbool van het element.
• De valentie-elektronen worden in de vier windrichtingen rond het symbool geplaatst.
• Elk valentie-elektron wordt voorgesteld door een stip.
• Er kunnen maximaal vier ongepaarde elektronen voorkomen.
• Vanaf het vijfde elektron worden er elektronenparen of doubletten gevormd.
• Doubletten teken je als een streepje
VOORBEELDEN VALENTIE-ELEKTRONEN NOTEREN
elektronenconfiguratie van stikstof
andere voorbeelden
OPDRACHT 6
Teken het schilmodel van de eerste 18 elementen uit het PSE
De elektronenconfiguratie is de opvulling van de schillen van een atoom met elektronen. Op de buitenste schil zitten maximum acht elektronen. Elektronen op de buitenste schil, noem je valentie-elektronen. Als de buitenste schil volledig gevuld is, spreek je van de edelgasconfiguratie
De elektronenconfiguratie van een atoom kan op drie manieren voorgesteld worden: voorbeeld: zwavel (S) – atoomnummer Z = 16
cijfermatige voorstelling
Lewisnotatie of het elektronenstipmodel 2, 8, 6
schillenmodel
` Maak oefening 1 t/m 4 op p. 420-422.
OPDRACHT 7
Vul de tabel aan voor elk schillenmodel
atoomnummer naam element (cijfermatige) elektronenconfiguratie
aantal valentieelektronen Lewisnotatie
massagetal A aantal protonen aantal neutronen
Teken het schillenmodel voor aluminium.
Schrijf de elektronenconfiguratie en teken ernaast de lewisstructuur voor de volgende elementen. koolstof:
magnesium:
zuurstof:
chloor:
zwavel:
fosfor:
naam element: chloor
symbool:
naam element:
symbool:
naam element:
symbool: schillenmodel: schillenmodel: schillenmodel:
atoomnummer Z: atoomnummer Z: atoomnummer Z: elektronenconfiguratie: elektronenconfiguratie: elektronenconfiguratie:
aantal bezette schillen: aantal bezette schillen: aantal bezette schillen: aantal valentie-elektronen: aantal valentie-elektronen: aantal valentie-elektronen: elektronenstipmodel of Lewisnotatie: elektronenstipmodel of Lewisnotatie: elektronenstipmodel of Lewisnotatie:
groepsnummer: groepsnummer: groepsnummer: periodenummer: periodenummer: periodenummer: massagetal A: massagetal A: massagetal A: aantal elektronen: aantal elektronen: aantal elektronen: 12 aantal protonen: aantal protonen: aantal protonen: aantal neutronen: aantal neutronen: aantal neutronen: metaal / niet-metaal / edelgasmetaal / niet-metaal / edelgasmetaal / niet-metaal / edelgas
Vul de tabel aan voor de schillenmodellen.
schillenmodel
schillenmodel
schillenmodel
atoomnummer Z: atoomnummer Z: atoomnummer Z: naam element: naam element: naam element: (cijfermatige) elektronenconfiguratie: (cijfermatige) elektronenconfiguratie: (cijfermatige) elektronenconfiguratie:
aantal valentie-elektronen: aantal valentie-elektronen: aantal valentie-elektronen:
elektronenstipmodel of Lewisnotatie:
elektronenstipmodel of Lewisnotatie:
elektronenstipmodel of Lewisnotatie:
massagetal A: massagetal A: massagetal A: aantal protonen: aantal protonen: aantal protonen: aantal neutronen: aantal neutronen: aantal neutronen:
` Verder oefenen? Ga naar .
Je kunt al:

L toelichten dat elementen worden voorgesteld met een uniek symbool;
L toelichten dat elektronen zich op schillen rond de kern bevinden;
L toelichten dat we in de lewisstructuur enkel de elektronen van de buitenste schil voorstellen;
L toelichten dat elektronen negatief geladen zijn en protonen positief geladen;
L toelichten dat een atoom evenveel elektronen als protonen bevat en dus elektrisch neutraal is.
Je leert nu:
L de opbouw van het PSE gebruiken om eigenschappen van atomen en ionen af te leiden.
L een verband leggen tussen de plaats van een element in het PSE en de eigenschappen ervan;
L elementen ordenen en plaatsen op de tabel volgens metalen en niet-metalen (classificatie);
L toelichten dat elk element een specifieke plaats heeft in het PSE;
L toelichten dat de periode waarin het element voorkomt het aantal schillen weergeeft;
L toelichten dat de groep waarin het element staat de elektronenconfiguratie van de buitenste schil verraadt.
Je hoort vaak spreken over ‘de tabel van Mendelejev’ in plaats van ‘het periodiek systeem van de elementen’. Nochtans klopt de naam ‘tabel van Mendelejev’ niet helemaal, want ook andere wetenschappers zoals Henry Mosely, Lothar Meyer, William Ramsey en Niels Bohr hebben hun steentje bijgedragen. Maar goed, ere wie ere toekomt, Mendelejev is en blijft de grondlegger van het PSE.
Het PSE en de plaats van de elementen bevatten heel wat nuttige informatie voor de chemicus. Heb je die kennis onder de knie, dan start je met een flinke basis om later de verbindingen tussen atomen te verklaren. Atomen binden immers tot verbindingen. Er bestaan zeer eenvoudige verbindingen, maar ook heel complexe.
periodenummer = aantal bezette schillen
groepsnummer = aantal valentie-elektronen
Bekijk opdracht 6 waarbij je de schillenvoorstelling van de eerste 18 elementen uit het PSE tekende. Er is een duidelijk verband tussen:
• de verdeling van de elektronen op de schillen;
• de plaats van de elementen in het periodiek systeem.
De elementen zijn gerangschikt volgens oplopende atoommassa
Omdat het atoomnummer steeds toeneemt, kon Mendelejev destijds alle elementen op één lange rij plaatsen, waarbij de relatieve atoommassa telkens toeneemt. Toch plaatste hij de elementen op verschillende rijen. De zeven rijen die zo gevormd werden, worden perioden genoemd. Perioden worden aangeduid met een cijfer van 1 tot 7.
Hij had toen immers al ontdekt dat bijvoorbeeld lithium en natrium gelijkaardige chemische eigenschappen vertonen in reacties, net als bv. fluor en chloor.
Die gelijkaardige chemische eigenschappen zijn een rechtstreeks gevolg van hun elektronenconfiguratie. Door elementen met gelijkaardige chemische eigenschappen onder elkaar te plaatsen, werden er ook groepen gevormd: de verticale kolommen. Die elementen worden gekenmerkt door een gelijk aantal elektronen op de buitenste schil, de valentie-elektronen. Ze worden aangeduid met de Romeinse cijfers I tot VII. Er zijn a- en b-groepen of hoofden nevengroepen. In het PSE geeft men de groepen naast de Romeinse cijfers ook cijfers van 1 tot 18.
periode
Bij de rangschikking van de elementen in perioden en groepen stuitte men op een probleem na het element calcium. Tussen het element calcium (met twee elektronen in de buitenste schil) en gallium, (met drie elektronen in de buitenste schil) moesten nog tien elementen hun plaats vinden, met een atoommassa die tussen die van calcium en gallium ligt:
Ook bij de volgende perioden moest dat opgelost worden. De tabel moest dus worden opengetrokken om er telkens tien elementen tussen te plaatsen. Die groepen elementen krijgen doorgaans een Romeins cijfer met lettertje b. We noemen ze de b-groepen. De elementen uit de b-groepen kregen de verzamelnaam overgangselementen; ook de termen transitie-elementen of nevenelementen worden weleens gebruikt.
De overige elementen behoren tot de a-groepen. Er zijn dus acht a-groepen en tien b-groepen. Die indeling verwatert stilaan, tegenwoordig worden de kolommen vaak gewoon doorlopend genummerd van 1 tot en met 18.
Een gelijkaardig probleem in de rangschikking deed zich voor met de elementen na lanthaan, in periode zes, en actinium, in periode zeven.
De 28 (of 2 keer 14) afgezonderde elementen onderaan zijn de elementen die in periode zes volgen op het element lanthaan en in periode zeven op het element actinium. Zo verkregen ze de naam lanthaniden en actiniden. Samen worden ze ook wel ‘zeldzame aarden’ genoemd.
Men kiest er vaak voor om de zeldzame aarden onderaan de tabel te plaatsen met een verwijzing. Dat is handiger omdat het beter past in de verhoudingen van een pagina of poster.
De hoofdgroepen of a-groepen hebben elk een naam. Sommige groepen hebben een specifieke naam, andere groepen worden genoemd naar het bovenste element uit de groep.
• Ia: de alkalimetalen (Li, Na, K …)
• IIa: de aardalkalimetalen (Be, Mg, Ca …)
• IIIa: de aardmetalen (B, Al, Ga …)
• IVa: de koolstofgroep (C, Si, Ge …)
• Va: de stikstofgroep (N, P, As …)
• VIa: de zuurstofgroep (O, S, Se …)
• VIIa: de halogenen (F, Cl, Br, I …)
• VIIIa: de edelgassen (He, Ne, Ar …)
De laatste kolom, de edelgassen, wordt ook aangeduid als de nulgroep.
• De rijen in het PSE worden perioden genoemd. Bij elke nieuwe periode komt er een extra schil bij de atomen.
• De kolommen worden groepen genoemd. Het zijn groepen elementen met hetzelfde aantal elektronen op de buitenste schil (de valentieelektronen), en daarom met dezelfde chemische eigenschappen.
Kernbegrippen Kernvragen Notities
HOOFDSTUK 1: Hoe evolueerde het atoommodel?
voorwerp: opgebouwd uit materie
materie: stof of mengsel van stoffen
stof: verbinding van deeltjes of atomen
• Historische evolutie van de atoommodellen van Dalton tot en met Bohr: elke keer weer voortbouwen op de ontdekking van de voorganger.
• Het schillenmodel van Bohr-Rutherford
elektronenschillen
HOOFDSTUK 2: Wat weten we al over een atoom?
atoomkern
• bevat twee soorten elementaire deeltjes: protonen (+) en neutronen
• deze elementaire deeltjes hebben een eenheidslading
• rond atoomkern heb je elektronen (–)
atoomnummer Z = aantal protonen = aantal elektronen
massagetal A = Z (aantal protonen)
+ N (aantal neutronen)
relatieve atoommassa
• Het atoom bestaat uit een atoomkern en een elektronenmantel waarin protonen en neutronen voorkomen (behalve H: enkel 1 proton).
• Protonen, elektronen en neutronen vormen samen een atoom. Een atoom in zijn geheel heeft geen lading.
• Protonen zijn positief geladen (+). Elektronen zijn negatief geladen (–). Neutronen zijn neutraal.
• Rond de kern bewegen elektronen (–) op schillen.
• Het aantal elektronen rond de kern is in een atoom gelijk aan het aantal protonen in de kern.
• Atomen met hetzelfde aantal protonen zijn atomen van hetzelfde chemische element.
• Uit het atoomnummer Z en het massagetal A kunnen we de hoeveelheid van elk van de deeltjes in een atoom berekenen.
• In het PSE wordt onder elk element de relatieve atoommassa vermeld. De afgeronde waarde van deze relatieve atoommassa, is het massagetal van het atoom.
Kernbegrippen
Kernvragen
BOUW, EIGENSCHAPPEN EN RANGSCHIKKING VAN ATOMEN
Notities
HOOFDSTUK 3: Hoe zitten elektronen verdeeld in een atoom?
elektronenconfiguratie
edelgasconfiguratie
lewisstructuur of elektronenstipmodel
• De verdeling van de elektronen op schillen gebeurt volgens een aantal regels.
• Wanneer de buitenste schil volledig bezet is, dan spreken we over de edelgasconfiguratie.
• Het schillenmodel kan eenvoudiger genoteerd worden als de elektronenconfiguratie.
• Bij de lewisstructuur vereenvoudigen we die elektronenconfiguratie nog en worden enkel de elektronen van de buitenste schil weergegeven.
HOOFDSTUK 4: Wat leren we uit de plaats van een element op het PSE?
valentie-elektronen
groepen
= kolommen in het PSE perioden
= rijen in het PSE
a- en b-groepen
• Elementen met een gelijk aantal elektronen op de buitenste schil (de valentie-elektronen) hebben gelijkaardige chemische eigenschappen.
• Elementen met gelijke chemische eigenschappen worden in het PSE onder elkaar geplaatst, in een gelijke groep (# = 18).
• In het PSE komen er 7 perioden voor. Binnen een periode heeft elk element een gelijk aantal schillen in gebruik (periode 3 ⇒ 3 schillen in gebruik).
• Het PSE wordt opgedeeld in a- en b-groepen. De a-groepen zijn de hoofdgroepen, de b-groepen de nevengroepen.
8 a-groepen
elk een naam:
Ia: alkalimetalen
IIa: aardalkalimetalen
IIIa: aardmetalen
IVa: koolstofgroep
Va: stikstofgroep
VIa: zuurstofgroep
VIIa: halogenen
VIIIa/0: edelgassen (of nulgroep)
10 b-groepen
één verzamelnaam: overgangselementen
JANOG OEFENEN
1 Begripskennis
• Ik ken de kernbegrippen (element, atoom, voorwerp, materie, stof, atoomsoort, nucleonen, atoomkern, atoomnummer, massagetal, relatieve atoommassa, elektronenconfiguratie, lewisstructuur, eenheidslading, elementair deeltje) en kan ze toelichten
• Ik ken de historische evolutie van de atoommodellen van Dalton tot en met Bohr.
• Ik ken de lewisstructuur en kan die toepassen bij de eerste 20 elementen.
2 Onderzoeksvaardigheden
• Ik kan de bouw van een atoom toelichten (volgens het gecombineerd atoommodel van Bohr-Rutherford).
• Ik kan de samenstelling van atomen afleiden uit het atoomnummer en het massagetal.
• Ik kan de regels voor elektronenverdeling toepassen om het gecombineerd atoommodel van Bohr-Rutherford te tekenen en de elektronenconfiguratie van de eerste 18 elementen te schrijven
• Ik kan toelichten hoe het schrijven van elektronenconfiguraties een vereenvoudigde weergave is van het schillenmodel.
• Ik kan het PSE gebruiken om eigenschappen van atomen af te leiden, ook op basis van atoomnummer, massagetal en lewisformule.
` Je kunt deze checklist ook op invullen bij je Portfolio.
Mijn notities
Wat zie jij onder deze elektronenmicroscoop? Vul in.
Zou je graag nog verder inzoomen? Je bent niet alleen.
Wetenschappers uit de hele wereld doen continu fundamenteel onderzoek naar elementaire deeltjes in het CERN (Conseil Européen pour la Recherche Nucléaire, of de Europese Raad voor Kernonderzoek). Onze landgenoot François Englert kreeg in 2013 de Nobelprijs voor Natuurkunde voor zijn onderzoek naar de allerkleinste deeltjes.


Heeft dit thema jouw interesse opgewekt? Ga naar en bekijk de filmpjes over het onderzoek bij CERN.
Stilaan zijn we in staat om na te gaan of het gecombineerd atoommodel van Bohr-Rutherford overeenstemt met de realiteit. Steeds sterkere microscopen stellen ons in staat het met het blote oog te checken. We ontdekken alsmaar meer.

Deze plant kreeg al een tijdje geen water. Ontdek hoe de plant reageert als ze weer water krijgt.
Hoe ga je te werk?
1 Bekijk de video
2 Beantwoord de vragen.
Wat gebeurt er?
1 Hoe ziet de plant eruit nadat ze lange tijd geen water heeft gekregen?
2 Hoe reageert de plant als ze water krijgt?

Hoe zit dat?
1 Waarom hangen de bladeren slap als de plant watertekort heeft?
2 Hoe komt het dat de bladeren van de plant weer fris worden nadat ze water heeft gekregen?
3 De plant zal bij watertekort proberen om de verdamping van water te beperken. Welke structuren in de plant regelen dat?
` Welke prikkels kan een plant opvangen?
` Hoe reageren planten op prikkels?
` Hoe regelen planten hun reacties op een prikkel?
` Hoe houdt een plant zijn inwendig milieu in evenwicht?
` Hoe regelt de plant zijn waterhuishouding?
We zoeken het uit!
OPDRACHT 1
Vul de ontbrekende begrippen aan in de onderstaande schematische voorstelling van het fotosyntheseproces. Kies uit:
water (H2O) – koolstofdixoide (CO2) – glucose (C6H12O6) – zuurstofgas (O2) – stralingsenergie
1 Welke stoffen heeft de plant nodig voor de fotosynthese?
2 Hoe neemt de plant deze stoffen op?
3 Welk fotosyntheseproduct heeft de plant nodig?
4 Welke stof is een afvalstof in het fotosyntheseproces en verlaat de plant?
5 Vul nu de stoffen van de stofomzetting tijdens het fotosyntheseproces in op de juiste plaats.
stofomzetting in een plantencel
LEERDOELEN
Je weet al:
L wat een prikkel is;

L dat een prikkel een regelsysteem activeert;
L dat planten reageren op droge omstandigheden door de huidmondjes te sluiten.
Je leert nu:
L welke verschillende prikkels planten kunnen opvangen;
L op welke manieren planten op prikkels kunnen reageren.
1 Welke prikkels kunnen planten waarnemen?
OPDRACHT 2 ONDERZOEK
Onderzoek welke invloed licht op een plant heeft. Je vindt het labo bij het onlinelesmateriaal.
Je leerde al dat planten de huidmondjes sluiten als de omgeving droog is en dat ze die weer openen als het vochtig is. Welke andere prikkels kunnen planten opvangen? En hoe reageren ze daarop? In dit hoofdstuk leer je er meer over.
OPDRACHT
Bekijk aandachtig de reacties van planten in de volgende situaties.
1 Noteer op welke prikkel de plant reageert.

Prikkel:
2 Lees de tekst en beantwoord de vragen

Prikkel:
Je kunt deze tekst lezen omdat fotoreceptoren in je ogen het licht waarnemen en vervolgens signalen doorsturen naar je hersenen. Net zoals dieren zitten planten boordevol gespecialiseerde structuren die prikkels kunnen opvangen: de receptoren. Die receptoren liggen verspreid over de hele plant en kunnen onderling sterk verschillen.
Planten hebben licht nodig voor de fotosynthese. Zo kunnen ze hun eigen voedingsstoffen aanmaken. Fotoreceptoren stellen planten in staat om dat licht waar te nemen.

Planten zijn ook in staat aanraking of beweging waar te nemen. Dat doen ze met mechanoreceptoren.
1 Welke structuren zijn er in de plant aanwezig om licht waar te nemen?
2 Welke structuren nemen aanraking en beweging waar?
3 Waar liggen die structuren in de plant?
4 Wat is het nut voor planten om prikkels te kunnen opvangen?
Planten kunnen prikkels opvangen
Planten hebben echter geen zintuigen. Ze gebruiken gespecialiseerde structuren die verspreid liggen in het organisme, om prikkels waar te nemen. Dat zijn de receptoren. Meerdere prikkels worden door specifieke receptoren waargenomen:
• fotoreceptoren: receptoren die lichtprikkels waarnemen;
• mechanoreceptoren: receptoren die aanraking en beweging waarnemen.
Dankzij die receptoren kunnen planten veranderende omstandigheden waarnemen en er gepast op reageren om zo hun overlevingskansen te verhogen. Ze reageren op uitwendige prikkels zoals aanraking, licht, zwaartekracht en temperatuur.
` Maak oefening 1 op p. 444.
De meeste prikkels waarop planten reageren, ontstaan uitwendig: tekort aan water, tekort aan voedingsstoffen … Wetenschappers zoeken nog volop uit hoe planten reageren op inwendige veranderingen. Watertekort bij een plant ontstaat bijvoorbeeld bij de wortels die te weinig water opnemen. Binnen in de plant merken receptoren ook die verandering van het watergehalte op. Er ontstaat dan een kettingreactie aan complexe mechanismen die de plant helpen gepast te reageren op de veranderende omstandigheid. Plantenhormonen spelen daarin een cruciale rol. Maar daar leer je later in dit thema meer over.

2.1 Beweging als reactie
Wanneer een gevaarlijk hond je achterna zit, loop je vast weg. Planten kunnen zich niet verplaatsen en moeten dus gebruik maken van andere mechanismen om op prikkels te reageren. Krokussen gebruiken beweging als reactie op een uitwendige prikkel. Ook andere planten, zoals zonnebloemen en het kruidjeroer-me-niet, kunnen bewegen als reactie op prikkels.
De reuzenberenklauw reageert op een andere manier. Wanneer je die plant aanraakt, komen er kliersappen vrij. In combinatie met de zon kunnen die sappen je huid irriteren en zelfs brandwonden veroorzaken. De plant doet aan kliersecretie om zich te beschermen.


1 Scan de QR-codes en bekijk de filmpjes van de planten.
2 Beantwoord de vragen en vul de tabel aan.
OPDRACHT 4 (VERVOLG)
5 Waarneming 6 Verwerking
1 Hoe reageren de planten op prikkels?
WAARNEMING
VERWERKING
Reactie? Prikkel? Is de reactie gericht naar de prikkel?
bonenplant ja neen
venusvliegenval ja neen
radijsjes ja neen
paardenbloemen ja neen
2 Bekijk nog eens aandachtig de laatste kolom. Kijk naar de plaats van de prikkel en formuleer het verschil tussen de reacties.
3 Wat zijn de effectoren bij deze plantenbewegingen?
4 Doordenker: Waarom klapt de venusvliegenval pas dicht bij een sterkere aanraking?
7 Besluit
Formuleer een besluit.
We onderscheiden twee soorten bewegingsreacties:
8 Reflectie
Planten bewegen als reactie op prikkels. Bloemen en stengels groeien naar het licht, een stengel windt zich rond een stok, wortels groeien naar beneden, een venusvliegenval klapt dicht om een vlieg te vangen …. Die bewegende plantendelen functioneren als effectoren.
De bewegingsreactie van planten op eenzelfde prikkel, bijvoorbeeld op een lichtprikkel, kan verschillend zijn.
We onderscheiden twee soorten reacties.
1 Een tropie is een beweging van plantendelen veroorzaakt en gericht door de richting van de uitwendige prikkel.
Bijvoorbeeld: radijsjes groeien naar het licht toe.
2 Een nastie is een beweging van plantendelen veroorzaakt maar niet gericht door de prikkel.
Bijvoorbeeld: paardenbloem opent bij licht en sluit wanneer het donker is.
WEETJE
Om de aard van de prikkel aan te geven, wordt het woord ‘tropie’ of ‘nastie’ voorafgegaan door een Grieks voorvoegsel dat de soort prikkel aanduidt.
aard van de prikkel Grieks voorvoegsel licht foto aanraking thigmo zwaartekracht geo temperatuursverandering thermo
• We spreken van fototropie en fotonastie.
• We spreken van thigmotropie en thigmonastie.
OPDRACHT 5 DOORDENKER
Je kon al een aantal reacties van planten bestuderen.
Beoordeel voor elke reactie of het om een tropie of een nastie gaat. voorbeelden tropienastie
a Het kruidje-roer-me-niet vouwt zijn blaadjes dicht bij aanraking.
b Krokussen openen zich in de warmte en sluiten in de kou.
c Jonge zonnebloemen bewegen mee met de zon.
d De wortels van planten groeien naar beneden.
e Paardenbloemen openen wanneer het licht is.
OPDRACHT 6
Lees de tekst en beantwoord de vragen.
Stel dat je op een warme zomerdag in short door hoge begroeiing loopt. Plots krijg je jeukende bobbeltjes op je benen. Je bent in aanraking gekomen met een brandnetel! Brandnetels hebben klierharen of brandharen met aan de top een weerhaakje. Als dat weerhaakje in jouw huid vast komt te zitten, breekt het. Er komt dan een beetje mierenzuur vrij, een stof die een branderig gevoel geeft. Die brandnetel heeft het eigenlijk niet op jou gemunt maar wil zich zo beschermen tegen vraat van dieren.


1 Wat is de prikkel voor de plant?
2 Wat is de effector?
3 Wat is het nut van de reactie voor de plant?
Planten beschikken net als dieren over kliercellen. Bij planten zijn die gespecialiseerde cellen soms effectoren die een reactie op een prikkel kunnen uitvoeren indien nodig. Planten kunnen door kliersecretie hun overlevingskansen verhogen.
Hars
Naaldbomen produceren vaak hars, dat is taai en kleverig en wordt geproduceerd door kliercellen rond harskanalen. Als een boom wordt beschadigd kan het hars de wond afdekken. Zo wordt verhinderd dat schadelijke schimmels of bacteriën binnendringen.

Niet alle klierproducten dienen om planten te beschermen tegen indringers. Zo produceren heel wat planten nectar in honingklieren of nectariën. Nectar is een suikerrijke vloeistof die insecten aantrekt. De nectar is voedsel voor die dieren, maar tegelijkertijd nemen ze in hun zoektocht naar de nectar, diep verscholen in de bloem, het stuifmeel van de meeldraden mee naar een stamper van een andere bloem. Zo zorgen ze voor de bevruchting van de plant. Die klierproducten zijn dus geen reactie op een prikkel, maar spelen wel een belangrijke rol in bijvoorbeeld de voortplanting van de plant. Zo verhogen die klieren de overlevingskansen van de soort.

Verschillende delen van een plant kunnen reageren op een prikkel. Ze functioneren als effector. Een effector kan een enkele gespecialiseerde cel zijn.
Als reactie op een prikkel komen bij planten twee soorten bewegingen voor: een tropie en een nastie.
• Tropie: een beweging die veroorzaakt wordt door een prikkel. De plaats van de prikkel beïnvloedt ook de richting van de prikkel.
• Nastie: een beweging die veroorzaakt wordt door een prikkel. De reactie wordt niet beïnvloed door de plaats van de prikkel.
Planten kunnen ook met behulp van kliercellen reageren op een prikkel. De kliercel produceert dan bepaalde stoffen, de klierproducten
Planten kunnen hun overlevingskansen verhogen door beweging en kliersecretie
` Maak oefening 2 t/m 6 op p. 444-446.
PRIKKEL
= een waarneembare verandering in een organisme of de omgeving van het organisme die een reactie kan uitlokken
Welke prikkels kunnen planten opvangen?
• licht
• aanraking
• temperatuur
• zwaartekracht
• hoeveelheid water, voedingsstoffen …
• …
Hoe reageren planten op prikkels?
Receptoren:
• verspreid over de hele plant
• vaak slechts een onderdeel van een cel
• Fotoreceptoren vangen licht op.
• Mechanoreceptoren nemen aanraking en beweging waar.
Planten kunnen door samenwerking tussen receptoren en effectoren veranderende omstandigheden waarnemen en er gepast op reageren
REACTIE
= actie als antwoord op de prikkel
Effectoren:
• beweging: 2 soorten tropie: beweging veroorzaakt en gericht naar een prikkel nastie: beweging veroorzaakt maar niet gericht naar een prikkel
• kliersecretie: Planten produceren kliersappen die de plant beschermen tegen meerdere invloeden.
Dat kunnen alle delen van de plant zijn: wortels, stengel, blad, bloem, gespecialiseerde cellen …
JANOG OEFENEN
1 Begripskennis
• Ik kan omschrijven wat een prikkel bij planten is.
• Ik kan voorbeelden van prikkels bij planten geven en herkennen
• Ik kan de functie van een receptor bij planten omschrijven
• Ik kan met een experiment aantonen dat planten reageren op aanraking en licht.
• Ik kan omschrijven wat tropie is en een voorbeeld geven of herkennen.
• Ik kan omschrijven wat nastie is en een voorbeeld geven of herkennen.
• Ik kan omschrijven dat kliersecretie een reactie op een prikkel kan zijn en een voorbeeld geven
2 Onderzoeksvaardigheden
• Ik kan een waarneming interpreteren en verklaren.
• Ik kan een besluit formuleren op basis van de verzamelde gegevens.
` Je kunt deze checklist ook op invullen bij je portfolio.
Mijn notities
Welke van deze bewegingen is geen reactie op een prikkel?
a Markeer het juiste antwoord.
• Paardenbloemen sluiten zich bij vochtig weer en gaan opnieuw open als het droog is.
• Boomtwijgjes bewegen in de wind.
• Kamerplanten die aan het raam worden gezet, draaien hun bladeren naar het licht.
• Bij kiemplantjes die met hun wortels verticaal in een beker met gelatine groeien, wordt aan één zijde keukenzout in de gelatine toegevoegd. Gevolg: de wortels krommen zich van het keukenzout weg.
b Motiveer je keuze.
c Wat is de prikkel in de andere gevallen?
• • • Welke soorten reacties op prikkels ken je?
1 Verbind.
a Verbind de voorbeelden van bewegingen met de juiste benaming van de reactie op de prikkel.
b Verbind vervolgens de beweging met de juiste omschrijving.
Voorbeeld bewegingen
• De radijsjes groeien naar het licht.
• Het kruidje-roer-mij-niet vouwt zijn blaadjes dicht bij aanraking.
• De paardenbloem gaat open als het licht is.
• De venusvliegenval klapt dicht bij aanraking van een vlieg.
• De bonenplant windt zich rond een stok.
Benaming reactie op prikkel
tropie nastie
2 Krokussen openen zich in de warmte en sluiten zich in de kou.
a Is dit een tropie of een nastie?
b Zoek het juiste voorvoegsel voor het openen en sluiten als reactie op de prikkel ‘temperatuur’.
Tip: Denk aan het Griekse woordje voor ‘warm’ of ‘heet’.
Omschrijving beweging
beweging veroorzaakt door en gericht naar de prikkel
beweging veroorzaakt door maar niet gericht naar de prikkel
ZNoteer bij de gegeven bewegingen:
• de prikkel die de beweging uitlokt;
• de naam van de beschreven tropie of nastie;
• of het een positieve of negatieve tropie is.
Beweging
Bloemen van zonnebloemen draaien mee met de draairichting van de zon.
Sneeuwklokjes openen zich bij warmte en sluiten in de kou.
Als een heggenrank een staak aanraakt, windt hij er zich omheen.
Wordt de beweging veroorzaakt door licht (‘foto’), warmte of koude (‘thermo’), vochtigheid (‘hygro’), chemische stoffen (‘chemo’), zwaartekracht (‘geo’) of houden ze verband met het dag- en nachtritme (‘nycti’)?
Prikkel Soort tropie/nastie + of - tropie
Klaverplanten zien er ’s avonds verwelkt uit; ’s morgens worden ze opnieuw fris.
De wortels van planten groeien naar beneden.
Paardenbloemen sluiten zich bij vochtig weer en gaan opnieuw open als het droog is.
Lupinen die door de wind omver zijn gewaaid, krommen hun stengel na een tijd weer opwaarts.
Wortels van kamerplantjes groeien van zout weg.
Bekijk de video en beantwoord de vragen.
De meeldraden van de korenbloem zijn gevoelig voor aanraking. Wanneer een insect de helmknopjes aanraakt, trekken de helmdraden samen en wordt er wit stuifmeel uit de helmknopjes geduwd.
a Kruis aan.
Dit is een voorbeeld van nastie.
Dit is een voorbeeld van tropie.
b Verklaar je antwoord.

c Wat is het nut van die reactie voor de korenbloem?
Lees de tekst en beantwoord de vragen.

Een nietsvermoedend insect wordt in de val gelokt door de zonnedauw. Het insect wordt aangetrokken door een kleverige zoete stof die in kliertjes op de tentakels van de zonnedauw wordt geproduceerd. Eens het insect landt, rolt het blad van de zonnedauw zich rond het insect. Het insect wordt nu verteerd door de kliersappen en levert zo de zonnedauw extra voedingsstoffen. Op die manier kan zonnedauw toch groeien waar er weinig voedingsstoffen in de grond zitten. VIDEO
1 Wat is de prikkel voor het insect om naar de zonnedauw te vliegen?
2 Welke techniek gebruikt de zonnedauw om het insect in de val te lokken?
3 Welke reactie veroorzaakt het landen van het insect op de zonnedauw?
4 Is dat een voorbeeld van een tropie of een nastie? Verklaar.
5 Wat is het nut van die reactie?
Beoordeel voor elke reactie of het om een tropie of een nastie gaat.
voorbeelden
a De stengels van planten groeien naar omhoog.
b De venusvliegenval klapt dicht.
c Radijsjes groeien naar het licht.
d Een bonenplant slingert rond een stok.
` Verder oefenen? Ga naar .
tropienastie
LEERDOELEN
Je weet al:

L welke verschillende prikkels planten kunnen opvangen;
L op welke manieren planten op prikkels kunnen reageren;
L dat dieren informatie geleiden met behulp van elektrische signalen en hormonen.
Je leert nu:
L dat ook planten informatie geleiden met behulp van elektrische signalen en hormonen;
L hoe het regelsysteem bij planten functioneert;
L beschrijven hoe hormonen bepaalde processen regelen om de overlevingskans te verhogen.

Het kruidje-roer-me-niet vouwt bij een aanraking vliegensvlug zijn blaadjes dicht en radijsjes bewegen naar het licht toe. Speciale receptoren pikken die prikkels op. Heel wat verschillende plantendelen fungeren vervolgens als effector om op de prikkel te reageren. Planten hebben echter geen zenuwstelsel zoals dieren. Hoe wordt de informatie van de prikkel dan doorgegeven naar de effector? Hoe regelen planten met andere woorden de reactie op een prikkel ?
We leerden dat reacties op prikkels zowel bij planten als bij dieren volgens een regelsysteem worden bepaald.
Prikkels worden opgevangen door receptoren. De reacties op die prikkels gebeuren door effectoren. Om de informatie naar die effectoren te geleiden, beschikken planten echter niet over hersenen of een zenuwstelsel. Toch vinden we gelijkaardige systemen terug.
Wanneer bij dieren een signaal van een receptor naar een effector wordt doorgegeven, kan dat gebeuren via de neuronen. Binnen in zo’n neuron ontstaat dan een verplaatsing van ionen of geladen deeltjes. We noemen dat een elektrisch signaal. Planten beschikken over een gelijkaardig mechanisme.
OPDRACHT 7
Bestudeer de voorbeelden en zoek hoe planten signalen kunnen geleiden. Vul de tabel aan.
Voorbeeld 1: Beschadiging
Rozenblaadjes zijn gevoelig voor bladluizen. De diertjes voeden zich met het sap van jonge plantendelen, dat veel voedingsstoffen bevat. Als bladluizen cellen beschadigen, komen stoffen uit die cellen vrij. Zodra die stoffen binden op receptoren, start de productie van glutamaat. Glutamaat verandert de eigenschappen van het celmembraan, waardoor geladen deeltjes zich van cel naar cel kunnen verplaatsen. Zo ontstaat een elektrisch signaal doorheen (delen van) de plant die de productie van afweerstoffen op gang brengt. Die afweerstoffen maken de plant minder appetijtelijk om de vraat te verminderen.
Voorbeeld 2: Aanraking
Het kruidje-roer-mij-niet is een kruidachtige plant die aantoont dat planten heel snel kunnen reageren. Als de plant wordt aangeraakt of door de wind beweegt, gaan de blaadjes ‘dicht’. Ook belichting heeft een invloed, want ’s nachts zijn de blaadjes samengevouwen.

Bij aanraking worden specifieke cellen geprikkeld waardoor een elektrisch signaal ontstaat. Dat signaal verspreidt zich over de plant. Op de plaats waar blaadjes aan de steel vasthangen, zit een bladscharnier. Dat is een zwelling met cellen die snel water verliezen als ze een elektrisch signaal ontvangen. Als die cellen water verliezen, bewegen de blaadjes.
Planten reageren op beschadigingPlanten reageren op aanraking
prikkel receptor conductor effector reactie
Planten hebben geen zenuwstelsel, maar ze kunnen toch informatie verspreiden met behulp van elektrische signalen.
• De prikkels worden opgevangen door receptoren. Zo zijn sommige cellen extra gevoelig voor aanraking.
• Na ontvangst van de prikkel verspreiden geladen deeltjes zich over de plant. Er ontstaat er een elektrisch signaal.
• De geladen deeltjes worden naar de effectoren gestuurd. De plantendelen die gevoelig zijn voor die geladen deeltjes, kunnen daarop reageren, zoals de bladscharnieren bij het kruidje-roer-me-niet.
• Door de reactie stijgt de overlevingskans van de plant.
OPDRACHT 8
Lees het artikel en vul het schema aan.
Als een druppel regen een blad raakt, verspreiden kleine druppeltjes zich in alle richtingen. Omdat die druppeltjes bacteriën, virussen of sporen van schimmels kunnen bevatten, is dat gevaarlijk voor de plant. Ook naburige planten kunnen schade ondervinden, want één enkel druppeltje kan de ziekteverwekkers tot wel tien meter ver verspreiden over de omringende planten.
Als reactie op de regendruppels, lichte aanrakingen of bij beschadiging, produceren de betrokken cellen bepaalde stoffen. Die veroorzaken in onbeschadigde cellen de aanmaak van meerdere hormonen, waaronder jasmijnzuur. Dat hormoon verspreidt zich via het transportweefsel van blad tot blad en via de lucht naar andere niet-beschadigde plantendelen of naar naburige planten. Jasmijnzuur veroorzaakt daar bijna onmiddellijk het optreden van meerdere verdedigingsmechanismen van de plant, zoals de productie van giftige stoffen, of de aanmaak van extra dikke celwanden, waardoor cellen minder goed kunnen worden aangetast. Ook de aanmaak van andere hormonen kan worden gestimuleerd.
prikkel
receptor conductor effector reactie
Plantenhormonen zijn, net als hormonen bij dieren, signaalstoffen die een boodschap overbrengen tussen de receptor en de effector.
De prikkel, zoals druk en beschadiging, wordt waargenomen door receptorcellen. Net zoals bij dieren produceren die cellen kleine hoeveelheden hormonen. Die hormonen worden vervoerd via het transportweefsel van de plant. De hormonen binden met welbepaalde moleculen van de doelwitcellen, de effectoren. Alleen als het hormoon precies op de effector past, zoals een sleutel op een slot, wordt een reactie uitgelokt.
Planten worden voortdurend blootgesteld aan ongunstige veranderingen in hun omgeving. In de loop van de evolutie hebben planten meerdere mechanismen ontwikkeld om die veranderingen op te vangen.
Omdat planten zich niet naar een andere omgeving kunnen verplaatsen, moeten ze op een andere manier reageren op veranderingen in hun omgeving om te overleven. Ze gebruiken daarvoor twee mechanismen:
• Planten kunnen elektrische signalen gebruiken om informatie van een prikkel over de plant te verspreiden.
• Ze beschikken daarvoor niet over een zenuwstelsel zoals bij dieren.
` Maak oefening 1 t/m 4 op p. 453.
• Net zoals bij dieren gebruiken planten hormonen als signaal tussen prikkel en effector. De hormonen regelen reacties die nodig zijn om de kans op overleving te verhogen.
• Hormonen worden worden vervoerd via het transportweefsel.
Wanneer een rups aan een deel van de plant (zoals een blad) knabbelt, komt uit de beschadigde plantencellen een boodschappermolecule (glutamaat) vrij. Die molecule verandert de membraaneigenschappen van aangrenzende cellen, met als gevolg dat positieve ionen in die cellen naar binnen stromen. De verplaatsing van positieve ionen in één cel veroorzaakt verplaatsing van positieve ionen in een aangrenzende cel. De kettingreactie van verplaatsing van ionen veroorzaakt, net zoals bij dieren, een elektrisch signaal dat informatie over een grote afstand kan vervoeren. Dat elektrisch signaal brengt de productie van allerhande stoffen op gang die de plant minder appetijtelijk moeten maken, om zo de vraat te verminderen. Ook planten kunnen informatie over grote afstand verspreiden door middel van elektrische signalen.

BEKIJK DE VIDEO
Planten beschikken over twee mechanismen om te reageren op veranderingen in hun omgeving:
ELEKTRISCHE SIGNALEN
De prikkels …
… worden opgevangen door receptoren. Na ontvangst van de prikkel …
… verspreiden geladen deeltjes zich over de plant. Er ontstaat er een elektrisch signaal
De geladen deeltjes worden naar de effectoren gestuurd.
De plantendelen die gevoelig zijn voor die geladen deeltjes, kunnen daarop reageren.
prikkel
receptor
conductor
effector
reactie
PLANTENHORMONEN
De prikkels ...
... kunnen door verschillende plantencellen worden waargenomen. Na ontvangst van de de prikkel ...
… worden hormonen geproduceerd. Die oefenen op meerdere manieren en in meerdere processen invloed uit op het functioneren van de plant.
De overlevings- en voortplantingskansen van de plant stijgen.
• Ik kan beschrijven via welke mechanismen planten informatie overbrengen van receptor naar effector.
• Ik kan omschrijven hoe elektrische signalen verstuurd worden in een plant.
• Ik kan omschrijven hoe plantenhormonen processen regelen in de plant.
• Ik kan met voorbeelden aantonen dat planten werken als een systeem.
` Je kunt deze checklist ook op invullen bij je portfolio.
Mijn notities
Welke twee manieren kunnen planten gebruiken om boodschappen door te sturen
Hoe worden elektrische signalen doorgestuurd in een plant?
Via het zenuwstelsel
Via geladen deeltjes die zich van cel naar cel verplaatsen
Via het transportsysteem van de plant
Via hormonen
Kruis aan welke kenmerken van dierlijke hormonen we aantreffen bij plantenhormonen.
Kenmerk dierlijk hormoon
De productie wordt uitgelokt door inwendige en uitwendige prikkels.
Aangemaakt door kliercellen
De hormoonproducerende cellen zijn ook de receptorcellen.
Hormonen worden verspreid over alle weefsels van het organisme.
Hormonen worden verspreid via een transportstelsel.
Hormonen zijn signaalstoffen.
Hormonen fungeren als conductor omdat ze een schakel vormen tussen receptor en effector.
Werken in op cellen met specifieke receptoren.
Een hormoon kan op een of meerdere soorten cellen inwerken.
Een hormoon werkt in heel lage dosissen.
Plantenhormoon?
Snijbloemen verwelken veel sneller als ze naast een fruitschaal met appelen of bananen staan. Hoe zou dat komen?
` Verder oefenen? Ga naar .
LEERDOELEN
Je weet al:
L dat planten zich kunnen aanpassen aan droge omstandigheden door hun huidmondjes te sluiten;
L dat planten gebruikmaken van elektrische signalen en hormonen om informatie over te brengen van receptor naar effector;
Je leert nu:

L met voorbeelden aantonen dat planten hun inwendig milieu in evenwicht houden door hormonen;
L dat hormonen samenwerken bij het regelen van de levensprocessen in een plant;
L welke factoren invloed hebben op het openen en sluiten van de huidmondjes;
L uitleggen wat de rol is van de huidmondjes bij de waterhuishouding en de fotosynthese;
L hoe een plant zijn inwendig milieu stabiel kan houden.
1.1 Auxine
OPDRACHT 9
Met behulp van hormonen en elektrische signalen verspreidt de informatie van een prikkel zich door de plant. Die signalen zijn van levensbelang want planten kunnen zich niet verplaatsen in ongunstige omstandigheden. Enkel door een juiste reactie kan het inwendig milieu in evenwicht gehouden worden. Maar hoe zorgt de plant voor een gepaste reactie? Op welke manier wordt dat geregeld?
Hieronder zie je een illustratie van de resultaten van een aantal experimenten met kiemende zaden. Bestudeer de resultaten aandachtig en beantwoord de vragen.
top bedekt met ondoorzichtige dop
bedekt met transparante dop basis bedekt met ondoorzichtige boord top afgescheiden door doorlaatbaar tussenschot top afgescheiden door ondoorlaatbaar plastic
kiemend graszaad in donkere omgeving kiemende graszaden in aanwezigheid van licht invallend vanaf zijkant
OPDRACHT 9 (VERVOLG)
1 Wat leid je af uit de vergelijking van situatie A en B?
2 Wat leid je af door de resultaten van de experimenten B, C, D, E en F te vergelijken?
3 Wat kun je besluiten uit de experimenten G en H?
licht
Je stelde eerder vast dat alle planten naar het licht toe groeien. Maar hoe gebeurt dat nu precies?
Signaalstoffen of hormonen, zoals auxine, stimuleren bepaalde cellen in de plant om sneller te groeien. Licht remt de productie van auxine. Daardoor is er meer auxine in cellen aan de schaduwkant van een plant. Het gevolg is dat plantencellen aan de schaduwkant langer worden en naar het licht toe buigen. Op die manier kan de plant meer licht opvangen en beter aan fotosynthese doen.
prikkel receptor conductor effector reactie fotoreceptoren auxine
cellen worden langer aan de schaduwkant
lengtegroei

Auxine verspreidt zich gelijkmatig door de plant.
Auxine verzamelt zich aan de schaduwkant W Afb. 193
Je kunt het je een beetje voorstellen als in een buigbaar drinkrietje. Aan de schaduwkant zijn de cellen langer dan aan de zonkant. Kijk maar eens naar de bocht in het rietje, de segmenten zijn langer in de buitenbocht dan in de binnenbocht. Of bekijk de video ter verduidelijking.
Meristemen: deelweefsel in planten dat zorgt voor de groei en nieuwe cellen kan aanmaken
OPDRACHT 10 ONDERZOEK
Auxinen zijn dus plantenhormonen die de groei kunnen regelen. Hoewel auxinen in alle cellen kunnen worden aangemaakt, gebeurt dat vooral in de meristemen van de plant. Van daaruit worden die hormonen naar andere delen van de plant verspreid. Afhankelijk van de cellen waarop de auxinen inwerken, kunnen ze een andere werking hebben.
Een aantal fruitsoorten, zoals appels, peren en bananen, vormen grote hoeveelheden van het gasvormig hormoon ethyleen. Voer de volgende proef uit om de invloed van het hormoon ethyleen op de rijping van fruit te onderzoeken.
1 Onderzoeksvraag
Welke invloed heeft ethyleen op de rijping van fruit?
2 Hypothese
3 Benodigdheden
4 Werkwijze


1 week later


5 Waarneming
Wat neem je waar als je de kerstomaten na een week vergelijkt?
6 Verwerking
Hoe komt het dat de tomaat bij de appel het snelst rijpte?
7 Besluit
Formuleer een besluit.
8 Reflectie
Appel rijpt aan de boom.


Sommige fruitsoorten, zoals appels, produceren een gasvormige stof die de rijping bevordert. Dat gas is ethyleen (etheen).
Ethyleen zorgt ervoor dat de vrucht tijdens de rijping een opvallende kleur krijgt en dat er zoete suikers en lekkere geuren gevormd worden. Zo trekt de vrucht de aandacht van dieren die de vruchten eten en daarmee helpen om de zaden te verspreiden. Ethyleen wordt daarom ook het rijpings- of verouderingshormoon genoemd.
Ethyleen wordt waargenomen door bepaalde chemoreceptoren in een plant. Er ontstaat dan een signaal om nog meer ethyleen te produceren. Zo versterkt de productie van ethyleen zichzelf. Het is een voorbeeld van positieve feedback. Dat feedbacksysteem verklaart waarom vruchten snel rijpen en ook hoe ze de snellere rijping van andere vruchten veroorzaken.
Rijpe appel produceert ethyleen.
Ethyleen geeft een signaal af aan planten in de omgeving.
Die planten produceren nu ook ethyleen.
Meer appels rijpen aan de boom. positieve feedback
Ook de industrie gebruikt dat trucje, al is het dan op grotere schaal.
• Bananen worden onrijp geoogst. Vlak voor aankomst behandelen ze die met ethyleen, waardoor ze aan beginnen te rijpen.
• Om appels langer te bewaren, worden ze opgesloten in een ethyleenvrije ruimte met ventilatie. Zo stellen ze de rijping zo lang mogelijk uit.
Bij watertekort wordt het sluiten van de huidmondjes hormonaal geregeld door het plantenhormoon abscisinezuur (ABA). Dat hormoon doet de sluitcellen snel water verliezen, waardoor die cellen van vorm veranderen en hun wanden tegen elkaar gaan liggen. Abscisinezuur regelt de werking van de huidmondjes en speelt dus een belangrijke rol in de waterhuishouding van de plant door waterverlies binnen bepaalde grenzen te houden.
In thema 1 kon je al vaststellen dat huidmondjes de verdamping van water in de plant regelen.

S Afb. 199 Het hormoon abscisinezuur zorgt ervoor dat huidmondjes sluiten.
Abscisinezuur regelt ook nog andere processen in de plant. In het sap van vruchten is vaak abscisinezuur aanwezig. Daar verhindert het hormoon dat zaden kiemen zolang deze in de vrucht aanwezig zijn. Zo wordt de kieming uitgesteld en is de kans groter dat de zaden in een gunstig milieu terechtkomen, zodat ze kunnen uitgroeien tot nakomelingen.
Plantenhormonen spelen een belangrijke rol in de regeling van levensprocessen van de plant. Ze oefenen op meerdere manieren en in meerdere processen invloed uit op het functioneren van de plant en bevorderen daarmee hun overleving en/of voortplantingskans. Auxine, ethyleen en abscisinezuur zijn bekende plantenhormonen.
auxinen
• worden aangemaakt in de groeizones van planten.
• regelen het strekken van de cel (lengtegroei).
• zorgen ervoor dat bovengrondse delen naar het licht buigen en wortels naar beneden groeien: geotropie
ethyleen
abscisinezuur
• is een gasvormig plantenhormoon.
• speelt een belangrijke rol bij fruitrijping
• regelt de sluiting van huidmondjes en beperkt zo waterverlies van de plant.
• in vruchten verhindert dat de zaden beginnen te kiemen, omdat ze zich in de vrucht niet tot een volwaardige plant kunnen ontwikkelen.
` Maak oefening 1 t/m 5 op p. 463.
Om minder water te verliezen, kan de plant zijn huidmondjes sluiten. Het plantenhormoon ABA helpt de sluitcellen om snel water te verliezen.
Net zoals bij dieren, moeten planten hun inwendig milieu zo stabiel mogelijk houden. Dat verschijnsel noemen we homeostase. De regeling van het watergehalte van de plant noemen we de waterhuishouding. De huidmondjes spelen daarin een belangrijke rol.


Als er onvoldoende water beschikbaar is om de sapstroom in stand te houden, lijden de planten aan droogtestress. Dan verliezen de planten hun bladeren. Ook in het najaar werpen heel wat loofbomen hun bladeren af. Zo kan de plant overleven zonder sapstroom. Bladval is het gevolg van een samenspel van auxine, ethyleen en abscisinezuur.
• De auxinen die in het blad worden gemaakt, remmen de vorming van een laagje kurk aan de basis van de bladsteel in de afstotingslaag. Daardoor blijft het blad stevig verbonden met de plant. De productie van auxine is temperatuurgevoelig. Wanneer het in het najaar koeler wordt, daalt de productie en wordt de vorming van de afstotingslaag niet meer geremd.
• Ook het hormoon abscisinezuur (ABA) zorgt voor minder auxineproductie naarmate het blad veroudert.
• Als de hoeveelheid auxine daalt, wordt de afstotende laag gevoeliger voor ethyleen. Dat hormoon veroorzaakt de afbraak van de celwanden in de afstotingslaag, waardoor de basis van de bladsteel verzwakt. Tegelijk zorgt ethyleen voor de vorming van een kurklaagje, zodat de transportvaten worden afgesloten. Je kunt dat zien aan het bladlitteken. Dankzij het kurklaagje wordt het waterverlies beperkt als het blad valt en zo kan de plant overleven zonder sapstroom.
Onder invloed van zijn eigen gewicht en het spel van de wind zal het blad na enige tijd afvallen.
Het watergehalte in de plant wordt geregeld door meerdere plantenhormonen. Die werken samen om het intern milieu, zoals het watergehalte, in evenwicht te houden. Plantenhormonen spelen, net als de hormonen in dieren, een belangrijke rol in de homeostase van het inwendig milieu.
droogtestress

aanmaak ABA door wortels

transport naar de stengel via zeefvaten
MERISTEEM

transport naar de bladeren via zeefvaten
in de deelweefsels wordt de aanmaak van auxine geremd
thermoreceptoren
lage temperatuur


stimuleren van ethyleen
S Afb 203
Samenwerking van plantenhormonen bij het remmen van waterverlies

afbraak celwanden in de afstotingslaag kurkvorming
Plantenhormonen spelen een rol bij het regelen van het watergehalte in planten.
• Het waterverlies via de huidmondjes wordt geregeld door abscisinezuur.
huidmondjes sluiten
BEPERKING WATERVERLIES

bladval
• Bij droogtestress en bij koude regelen auxine, abscisinezuur en ethyleen samen de bladval. Zo gaat er geen water verloren via de huidmondjes.
Plantenhormonen werken samen om de homeostase van het watergehalte in stand te houden.
` Maak oefening 6 op p. 463.
Plantenhormonen oefenen op meerdere manieren en in meerdere processen invloed uit op het functioneren van de plant:
Plantenhormonen werken samen om het watergehalte in stand te houden.
• auxinen: treden op in groeiprocessen in de plant;
• ethyleen: zorgt voor rijping;
• abscisinezuur: regelt mee de werking van de huidmondjes en remt de kieming van zaden.
• Het waterverlies via de huidmondjes wordt geregeld door abscisinezuur (ABA).
• Bij droogtestress en koude regelen auxine, abscisinezuur en ethyleen samen de bladval. Zo gaat er geen water verloren via de huidmondjes.
Dankzij het op elkaar afstemmen van verschillende processen kunnen planten hun inwendig milieu zo stabiel mogelijk houden, de homeostase. homeostase
Dat is van belang om hun overlevingskansen te verhogen.
JANOG OEFENEN
1 Begripskennis
• Ik kan omschrijven hoe plantenhormonen processen regelen in de plant.
• Ik kan voorbeelden van plantenhormonen geven en herkennen
• Ik kan uitleggen welke rol auxinen, ethyleen en ABA hebben in de plant.
• Ik kan met behulp van een schema verklaren hoe hormonen samenwerken om de bladval te regelen.
• Ik kan met voorbeelden aantonen dat planten werken als een systeem.
• Ik kan toelichten hoe planten hun inwendig milieu stabiel houden.
• Ik kan een voorbeeld geven van homeostase bij planten.
` Je kunt deze checklist ook op invullen bij je portfolio.
Mijn notities
Bekijk de afbeelding.
a Duid op beide figuren aan waar de lichtbron zich bevindt.
b Duid aan waar in beide situaties auxine wordt aangemaakt.
c Welk gevolg heeft auxine voor de cellen van de stengel?
d Wat is het gevolg voor de plant?
Snijbloemen verwelken veel sneller als ze naast een fruitschaal met appelen of bananen staan. Hoe zou dat komen?
Wat is het gevolg van het aanbrengen van abscisinezuur op planten?
Verklaar waarom tomatenzaadjes niet kiemen als ze nog in een tomaat zitten.
Welke hormonen zijn bij de bladval betrokken?
Illustreer met een voorbeeld of schema hoe een plant een nieuw evenwicht bereikt na een gebeurtenis, zoals droogte of verplaatsing.
PLANTEN ALS SYSTEEM
Om te functioneren en ook om de homeostase in stand te houden, werken planten volgens het bekende regelsysteem: prikkel
Prikkels zoals:
• beschadiging , bijvoorbeeld door bladluizen,
• aanraking,
• de hoeveelheid water, de aanwezigheid van voedingsstoffen of hormonen, de zwaartekracht en licht.
conductor
effector
reactie
Planten hebben enkele specifieke receptorcellen, zoals de fotoreceptoren en mechanoreceptoren die gevoelig zijn voor aanraking of voor trillingen. Bepaalde andere prikkels kunnen door alle cellen worden opgevangen, zoals een beschadiging, of de aanwezigheid van water en hormonen.
De receptorcellen kunnen hormonen produceren, zoals auxine bij belichting of abscisinezuur bij watertekort. Andere receptorcellen veroorzaken de verplaatsing van geladen deeltjes en zorgen zo voor een elektrisch signaal
Alle plantencellen zijn gevoelig voor plantenhormonen. Elke cel kan dus op auxine of op abscisinezuur reageren. Om op een bepaald plantenhormoon te kunnen reageren, is het nodig dat het hormoon op de effector kan binden zoals een sleutel op een slot, net als bij dieren. Ook de elektrische signalen kunnen alle cellen beïnvloeden. Bij planten zijn de effectoren dus geen specifieke weefsels of organen
De reactie van planten is afhankelijk van het weefsel waarin de effector ligt. Zo zal auxine in de top van de plant zorgen voor fototropie, in de wortel van de plant veroorzaakt het hormoon geotropie. De bladscharnieren reageren op elektrische signalen door water af te geven: andere cellen van dezelfde plant ontvangen die geladen deeltjes ook, maar reageren er niet zichtbaar op.
gevolg reactie:
In alle gevallen heeft de reactie van planten als gevolg dat de overlevings- of voortplantingskansen van een plant verbeteren.
Tijdens de CHECK IN van dit thema heb je gemerkt dat de plant reageert op een droge en een vochtige bodem.
1 Waarom hangen de blaadjes van een plant als de wortel zich in een droge omgeving bevindt?

2 Waarom zijn de blaadjes weer fris en stevig als de wortel van de plant zich in een vochtige omgeving bevindt?
3 Hoe regelt de plant zijn waterhuishouding?
4 Waarom kunnen planten, zoals lavendel, wel overleven in een droge omgeving zoals die in Zuid-Europa te vinden is?
