Issue 37

Page 1

Friday 7th October 2022TRALEE ADVERTISER 1 ADVERTISINGUse your Feet, not your Fingers! Shop Local Read ON LINE ww.traleeadvertiser.ie ISSUE NO. 37 VOL.29 ESTABLISHED 1993 Phone 066-7126399 Email: traleeadvertiser@gmail.com FRIDAY 7th OctoberFREE EVERY FRIDAY ...What’s happening in Tralee! 0 66 7 12 2 5 9 9 085 100 5050 in fo@ m anormedical i e WIL L O W DR I VE , R A TH A S S , TRALE E, C O KER R Y, V 9 2 C6 C Y“Sick today s n today” • Standard Consultation Fee €30 • Electronic Welfare Certs • Same day Prescription direct to Pharmacy • Tele-Health (Telephone, Skype, WhatsApp & FaceTime) • Phlebotomy (Blood testing Service) • Cervical screening service Open 7 Days a Week (inc BANK HOLIDAYS): 9am to 7pm JOINT INJECTIONS AVAILABLECALL US FOR MORE INFORMATION SHANAKILL, MONAVALLEY, TRALEE T: 066-4018221 Everyones talking about our All Day Breakfasts! Tried it yet? Unit 2, Castle Demesne House, Ivy Terrace, Tralee Phone: 066 7122873 | Email: info@kerrydentureclinic.com Web: www.kerrydentureclinic.com • Complete Dentures • Partial Dentures • Immediate Dentures • Denture reline & adjustments • Tooth additions JUST OPENED IN IVY TERRACE Are your Dentures worn, loose or causing discomfort? Call us now on 066-7122873 Open Mon to Sat 9.30-5.30pm Call: 066-7179433 (opp. McDonalds) RATHASS, TRALEE V92 Y2RX Factory Carpets RATHASS UNBEATABLE PRICES... GUARANTEED! OUR NEW RANGE OF FURNITURE AND BEDDING HAS ARRIVED! The Ashe Hotel, Maine St, Tralee, Kerry, V92 W56F | 066-7106300 | E: info@theashehotel.ie | W: www.theashehotel.ie All day DINING In the heart of Tralee Serving delicious brunch, lunch & dinner menus featuring the very best of local produce Hall of Fame Time for Elaine & Kevin!

Minister Foley welcomes over €8.6 million in funding for Further Education centres in Kerry

Minister for Education and Kerry TD Norma Foley wel comes the announcement of €8,696,719 in funding for Kerry ETB to invest in further education centres in Tralee and Listowel.

Over €3,700,000 will see a new apprenticeship training building established at the site of the Kerry College Monaval ley Campus.

The new project will facilitate the expansion of carpentry, joinery, electrical and pre-ap prenticeship courses as well as providing additional car parking spaces on site.

In Listowel, funding of €4,996,719 will oversee the upgrade and extension of a building purchased by KETB last year at Listowel Business

Development Centre, enabling the relocation of FET provision from the post-primary school.

The project will provide for the refurbishment and upgrade to the existing building to provide classrooms, sanitary facilities and ancillary spaces, including the upgrade to existing me chanical and electrical works to meet the needs of staff and students.

The new build will house skills training spaces, ancillary teaching classrooms, PC labs, sanitary facilities, canteen, kitchen and extra parking on-campus.

Minister Foley said: “This new funding will enhance the already-excellent provision of apprenticeship training and further education in

Kerry. This state-of-the-art new building extension will allow Kerry College to have a standalone Further Educa tion and Training Campus in Listowel, serving not just the needs of North Kerry but the entire country. The develop ment of a new apprenticeship

CH Tralee makes it as finalist in Retail Excellance Awards

C.H. Chemists and Nourish, both based in Kerry, have this week been selected as finalists in the AIB Merchant Services Retail Excellence Awards 2022. They are two of 30 finalists from around the country vying to be crowned Ireland’s national store of the year for 2021. The overall winner will be announced on November 12 in the Galmont Hotel, Galway. The Store of the Year competition is the central part of the Retail Excellence Annual Awards, which were established in 1997 to promote best practice and encourage the highest standards in the Irish retail industry. They are now the largest and most

prestigious of their kind in Ireland. Former “National Store of the Year” winners include Avoca, Tilestyle, Applegreen, Arboretum, O’Briens Wines, Galvin For Men, Willow and Green Acres. Other finalists this year include Butlers Chocolate Cafes, The Great Outdoors , EZ Living Interiors Dublin , Dommybrook Fair , Foxford Wollen Mills to name a few !Commenting on the announcement, Duncan Graham, Managing Director, Retail Excellence, said: “I am delighted to announce the finalists for these national awards. We are experiencing a particualrly tough trading environment at present and as such we must celebrate the

positives even more so now.

Even though there are just 30 finalists announced today, the reality is that the entire

block on the existing Kerry College Tralee campus will have a profoundly-positive and immediate impact on contribut ing to the national provision of apprenticeship, particularly in the Craft Construction Sector.”

industry is working so hard and we are proud to be there to support them in every way we can.”

Call Chris or Colette Tel: 066-7126399 or e-mail : traleeadvertiser@gmail.comFriday 7th October 2022 TRALEE ADVERTISER2 NEWSNEWS Keep your Business in Tralee and keep Tralee in Business!
John Mitchels U 9 and u11 boys who took part in the annual Milltown/Castlemaine blitz on Sunday morning
Call Chris or Colette Tel: 066-7126399 or e-mail : traleeadvertiser@gmail.com Friday 7th October 2022TRALEE ADVERTISER 3 ADVERTISINGUse your Feet, not your Fingers! Shop Local BUSTERS BUDGET EVENT UP TO 50% OFF ALL STOCK! Thursday Until Saturday!! 06/10/2022 - 08/10/2022 Manor West, Tralee /Bathrooms4U

Laura guessed the Ducks right!

Laura O Connor with David , Showroom manager at Bathrooms 4 U in Manor collecting her Bluetooth LED Mirror after guessing how many B4U Ducks were in Sam Maguire!

ON SOCIAL MEDIA”

Christie gets Cancelled!

"Sadly we have no choice but to cancel ‘A Celebration of Christie Hennessy & Songwriters’ planned for the 4th and 5th of November 2022.

Unfortunately Kerry County Council have created too many obstacles, restrictions and requirements for us to receive the allocated funding. The celebration/festival was initiated by Kerry County Council in 2010 and run on a nonprofit basis, it has proven itself to be one of the most successful events of its kind in Ireland. It’s been incredible over the years, consisting of Troubadour Club, the IMRO Christie Hennessy Song Contest, all the Workshops, we have showcased such amazing songwriting, originality, musicianship, when I think of it all I get quite emotional. My thanks to Christie’s wonderful family, IMRO for always being there, the wonderful songwriters, musicians, road crews, sponsors, the town of Tralee for such a welcome and members of Kerry County Council, without you all it wouldn’t have happened. Thanks Kieran Ruttledge, Peter Maguire, Ger O’Sullivan for putting up with me over the years."

Francie Conway

Jimmy launches his documentary!

At the launch of my documentary on the War of Independence in North Kerry by rugby legend, Donal Lenihan at Kerry Writers Museum.Also in photo are my production team, Charles Nolan, Joe Stack and Dan Devane.

Tralee meets Cork!

Nathan and Colette from Tralee Chamber Alliance meet Cork Chamber President, Ronan Murray, and CEO, Conor Healy ,

Happy Birthday Jonathan!!

(the good looking guy on the right! Go on ..guess his age!)

Tralee is a long way from Melbourne, but it will be great to see this man back in action

SportsJoe.ie)

Call Chris or Colette Tel: 066-7126399 or e-mail : traleeadvertiser@gmail.comFriday 7th October 2022 TRALEE ADVERTISER4 We pick out some great photos posted on social media each week ...if you have any good ones please send them in... email traleeadvertiser@gmail.com or message us on our Facebook page... Enjoy ! “SNAPPED
(Credit
TRALEE ADVERTISER ADVERTISINGUse your Feet, not your Fingers! Shop Local MOUNTHAWK, TRALEE located in Mart yard beside NCT CentreAFS ALL FUEL SUPPLIES CALL IN OR CALL US 086-3824900 PLEASE NOTE .. Only Smokeless Coal can be used in Tralee Urban area All Types of Coal can be used OUTSIDE Tralee Urban area COAL | SLACK | LOGS | BRIQUETTES | KINDLING FIRELIGHTERS | FIRELOGS OFFERS AVAILABLE WHILE STOCKS LAST! BEAT THE NONSENSE PRICE OF COAL BY USING GREAT VALUE LOGS! ONLY SPECIAL €180 ONLY SPECIAL €400 Pallet of Logs (60 Net Bags) ONLY SPECIAL €55 Full Load of Logs (11ft x 6ft with rails) Half Load of Logs Tonne Bag Logs €55 Net Bag LogsPallet of Kiln Dry Logs (60 Bags Pallet) Tonne Bag Kiln Dry Logs Kiln Dry Logs ONLY SPECIAL €75 4 FOR SPECIAL €20ONLY SPECIAL €250 3 FOR SPECIAL €10ONLY SPECIAL €280

Warriors edge out Flexachem KCYMS in overtime thriller

Garvey’s Tralee Warriors got their Super League defence off to a winning start as they edged out Flexachem KCYMS in a pulsating and heart stopping opening night thriller at a packed Tralee Sports Complex on Saturday night.

An MVP performance from Fergal O’Sullivan and two moments of magic from Daniel

Jokubaitis and Dre Jackson ensured the Warriors came out on the right side of the 105103 score line after overtime in a game that will live long in the memory for those lucky enough to have been there to witness it. The Warriors seemed intent on sealing the deal early in the extra period when Dre Jackson fired in

from inside and out to give the hosts a 98-93 lead but RJ Kelly equalised with a pair of scores from either side of the arc. With just seconds left on the clock De’Ondre Jackson capped a memorable debut with his new team to weave a path to the board and give the Warriors the win in an absolute classic opening night

local derby.

Next up for the Garvey’s Tralee Warriors is another home tie against Super League arch rivals Belfast Star next Saturday the 8th October with a 7.30pm tip off.

Pix all credit to Liam Ryan

EA Sports Underage League of Ireland Under 17s

Call Chris or Colette Tel: 066-7126399 or e-mail : traleeadvertiser@gmail.comFriday 7th October 2022 TRALEE ADVERTISER6 NEWS Keep your Business in Tralee and keep Tralee in Business!
Warriors Andrée Michelsson floats in a score Credit Liam Ryan Dre Jackson lays up for the Warriors Credit Liam Ryan Some great action shots of Kerry FC - Bohemians FC( 0-0 ) photo by Adam Kowalczyk John Kehoe from Fr Murhpys London receiving the Shield award from Stephen Buttimer at the Tralee Parnells 7-a-side Senior Hurling Tournament Gavin O'Brien Captain of Crusheen receiving the Perpetual Cup from Stephen Buttimer at the Tralee Parnells 7-a-side Senior Hurling Tournament Fr Murphys Hurling Club London arrive in Kerry for the Inaugural Tralee Parnells 7-a-side Senior Hurling Tournament
Call Chris or Colette Tel: 066-7126399 or e-mail : traleeadvertiser@gmail.com Friday 7th October 2022TRALEE ADVERTISER 7 ADVERTISINGUse your Feet, not your Fingers! Shop Local OUR EARIEST EVERSALE NO TRICKS, JUST TREATS! €65 SPECIAL OFFER on Microsuction Ear Wax Removal for Adults on Both Ears (Normal Price 75) FREE ADULT HEARING SCREENING TEST BOOK NOW FREE HEARING AIDS worth up to €1000 now available under the PRSI Treatment Benefit Scheme Invest in the quality of your life Giving you back the gift of hearing FREEPHONE CLINICS NATIONWIDE | www.audiologymedicalservices.ie 1800 501 501 BON SECOURS HOSPITAL TRALEE & LIMERICK The Europe Hotel & Resort Killarney Attend any appointment in October to be entered in the draw T&C’s Apply WIN A NIGHT AWAY BOOK BEFORE OCTOBER 31ST TO AVAIL OF THESE OFFERS Bon Secours Hospital, Tralee The Scotia Clinic, Tralee

TRALEE'S WEEK IN SPORT!

John Mitchels Awards

Well done to Stephen Bowler who won Player of the Year and Danny Bowler who won Young player of the Year and Graham Higgins who was awarded with Goal of the Year

Ballymac under 9 boys

Ballymac Take The Junior Cup!

Tralee/St Brendan's Junior League Group A Final...Ballymac v John Mitchels

Ballymac Captain, Michael Herlihy receiving the Junior Cup, kindly sponsored by Lee Strand, on last Saturday evening, from John Slattery, Secretary of Tralee Town Board after their victory over John Mitchels

Great Fun on a Sunday at Strand

as

takes training!

Huge Congratulations to our 5 John Mitchels Players who were playing with the Tralee District Team who won the u15 District Championship Final in John Mitchels this afternoon against North Kerry. Pictured are Ava Sharma, Ellie O'Rahilly (co-captain), Ava Sugrue, Brigid Stewart and Eabha Mullen. John Reidy was selector on the team

Call Chris or Colette Tel: 066-7126399 or e-mail : traleeadvertiser@gmail.comFriday 7th October 2022 TRALEE ADVERTISER8 NEWS Keep your Business in Tralee and keep Tralee in Business!
Sheild and Cup winners Fr Murphys from London and Crusheen GAA at the Inaugural Tralee Parnells 7-a-side Tournament
Road
David Moran
Call Chris or Colette Tel: 066-7126399 or e-mail : traleeadvertiser@gmail.com Friday 7th October 2022TRALEE ADVERTISER 9 ADVERTISINGUse your Feet, not your Fingers! Shop Local The Essence of Autumn on a Plate Indulge in a fusion of fresh seasonal ingredients prepared by our chef with passion and creativity to create dishes that express the very essence of modern Irish cuisine. Choose from an impressive á la Carte menu including creative salads, gourmet sandwiches, meat, fish and garden dishes made with the best of the season. GARDEN BAR THE At The Killarney Park Town Centre, Killarney, Co Kerry, Ireland, V93 CF30 Email: info@killarneyparkhotel.ieBook your table at killarneyparkhotel.ie or Call 064 663 5555 Food served daily from 12.30pm STOCK TRALEE MANOR PARK 4-DAY ALL DISPLAY AND WAREHOUSE STOCK REDUCED TO CLEAR UP TO 50% OFFLaunches Tralee Manor Park - 066 718 0541 CLEARANCE SALE

from The Tralee Advertiser Team and Tralee Chamber Alliance

Succession Planning? ...whats it all about?

So far, our Breakfast Briefings are proving a resounding success so it just goes to show, the early bird really does catch the worm, or in our case, the delicious cup of freshly brewed coffee and warm fluffy scone. In this week’s talk, sponsored through SME Partnership with AIB, we are presenting a very useful talk about finance and legal matters with an emphasis on succession matters so if you have questions in this areas, book your place now.

We are delighted to announce that this week’s Lead Speaker will be Laura Dillon, head of taxation with Casey Stephenson Accountants. Laura has significant experience in both tax

advisory projects and corporate tax compliance previously worked for KPMG and GE. She is also a contributor to on Radio Kerry’s Business program. David Pierse, commercial partner at Pierse Fitzgibbon Solicitors will also be a guest speaker on the morning. This Breakfast Briefing, sponsored through SME Partnership with AIB, will focus on the theme of Succession Planning.

The Breakfast Briefing will take place on Tuesday October 11th at 7.30am in Manor West Hotel & Leisure Club. To register your place, please email info@ tralee.ie. This event is open to all Tralee Chamber Alliance members and nonmembers.

Kerry Is To Be The Focus Of A Film Launched By Environmental Group ‘Fair Seas’

A short film featuring the views of local communities who make a living from the sea is set to be launched in Kerry this week.

Fair Seas, a coalition of Ireland’s leading environmental nongovernmental organisations and networks, created the 12-minute feature to explore how changes to how marine areas are protected would affect the people living nearby. The film hears from voices in coastal communities including fishers, eco-tourism operators and biologists.

By exploring local stories, hopes and fears, it delves into how Marine Protected Areas might offer new means to conserve the incredible marine life that has supported these communities for centuries.

Fair Seas is calling on the Government to designate a minimum of 30% of Irish waters as a network of effective and well-managed Marine Protected Areas by 2030. Marine Protected Areas

(MPAs) are areas of our seas and coasts legally protected from activities that damage the habitats, wildlife and natural processes.

Currently, just 2% of Irish waters are protected.The group published a report in June identifying 16 ‘Areas of Interest’ for MPA designation in Irish waters including one area stretching along the Kerry coastline from Kenmare Bay as far as Loop Head in Clare.

Tralee and Dingle Bays are breeding areas for several threatened species of shark, ray and skate.

This is an important area for whales, dolphins and porpoises with the islands and archipelagos that skirt the peninsulas of Kerry being some of Ireland’s most prominent seabird breeding sites.

Lucy Hunt, Founder of Sea Synergy is featured in the film, she added, Kerry has amazing marine ecosystems,

it’s not just home to marine mammals and wildlife but has habitats that can contribute to mitigating climate change, some of which are yet to be explored or mapped. More research is important, but we know enough to start the protection process.

Stakeholder engagement, resource provision and policy action is the next step.”

The film will be officially launched at 7.00pm on Friday, October 7th as part of the Iveragh Learning Landscapes weekend at Tech Amergin, Waterville.

Call Chris or Colette Tel: 066-7126399 or e-mail : traleeadvertiser@gmail.comFriday 7th October 2022 TRALEE ADVERTISER10 NEWS Keep your Business in Tralee and keep Tralee in Business!
AND NOW FOR THE GOOD NEWS...
Aoife O Mahony - Fairseas, Neave Foxall, Annika Hitmiangsong, Oisin Foxall, Lucy Hunt- Sea Synergy, Sophie Harley, Dylan Carey, Mackenzie Bodyfelt, Maya Foxall. Pic: Fair Seas
Call Chris or Colette Tel: 066-7126399 or e-mail : traleeadvertiser@gmail.com Friday 7th October 2022TRALEE ADVERTISER 11 www.therosehotel.com The Rose Hotel, Dan Spring Road, Tralee, Co. Kerry, V92 HKA4. Afternoon Tea Served daily from 2.30pm-4pm €29 per person Reservations are advisable Please call 066 7199100

Tralee through the Years

Call Chris or Colette Tel: 066-7126399 or e-mail : traleeadvertiser@gmail.comFriday 7th October 2022 TRALEE ADVERTISER12
! A selection of photos of Tralee down the years taken by our very own photographer John Cleary. This Unique Photographic Collection of over 20,000 images showing Life in Kerry down through the years is available to view and buy online at www.ClearyPhotoArchive.com or call in to Clearys shop in Russell St, Tralee. DO YOU KNOW ANYONE HERE? Simply go to our Facebook page (The Tralee Advertiser) and let us (and the World!) know who they are! Pipeband Competition Tralee 70s Thats entertainment 93Tralee May 98
Call Chris or Colette Tel: 066-7126399 or e-mail : traleeadvertiser@gmail.com Friday 7th October 2022TRALEE ADVERTISER 13 ADVERTISINGUse your Feet, not your Fingers! Shop Local Funded and supported by the Citizens Information Board Providing you with free and con dential information, advice and advocacy on • SOCIAL WELFARE • HOUSING • HEALTH • EMPLOYMENT RIGHTS • FAMILY MATTERS • INCOME SUPPORT tralee@citinfo.ie National phone line 0818 07 4000 9am-8pm, Mon-Fri citizensinformation.ie Phone Tralee Mon- Fri, 10-4pm on 0818 07 7860 We are here to suppor t you in Kerry Town Park, Tralee, Co Kerry | Twitter/FB:@siamsatire Fri 21st & Sat 22nd at 8pm MÁM A powerful new dance produc tion by Michael Keegan-Dolan/Teaċ Damsa Bringing together Irish traditional concertina player Cormac Begley, contemporary collective, s t a r g a z e, and twelve international dancers. Age 8+ Tickets: €30/27 What’s on at Siamsa Tíre in October Fri 7th at 8pm ESPOSITO QUARTET Sat 8th at 8pm COMEDIAN DAVID O’DOHERTY Whoa It’s Me As seen on BBC’s ‘Live at the Apollo’. You’ll be guaranteed an evening of laughter and fun. And some songs on a glued together plastic keyboard from 1986! Age 16+ Tickets: €23 Tues 11th – Sat 15th at 8pm THAT’S ENTERTAINMENT VARIETY SHOW All booking available on www.siamsatire.com or call 066-7123055 Presented by the National String Quartet Programme: ShostakovichQuartet No 4 in D major Donnacha Dennehy – ‘Wig’ and Franck – Quartet in D Major Tickets: €16/14 Presented by Tralee Musical Society. A show packed with Rock ‘n Roll hits, children’s chorus and the hilarious comedy team. Tickets: €21/19

Spotted on the Street

Bewleys Big Coffee Morning Fundraiser this Sunday at O'Rahillys Healy Park

On Sunday 9th October Kerins O'Rahillys GAA will play host to the Bewleys Big Coffee Morning Social organised by Declan Smith (Ashgrove, Tralee). All proceeds raised during the morning will go to the Kerry Hospice Foundation.

The Kerry Hospice foundation is a voluntary organisation that helps to provide funding and support for palliative care services in Kerry. The event take place in Kerins O'Rahillys Pat Healy Park in Ballyrickard, V92E264, from 09:30 - 13:00. All are welcome to join us for what promises to be a fun morning filled with sweet treats and great coffee. If you'd like to help out or provide some baked goods for a worthy cause it would be greatly appreciated too!

For those that wish to contribute but cannot attend, a GoFundMe page has been set up (search Kerry Hospice on the site & look for the pink poster!).

For more information call Declan Smith on 0868247691 or email m.smith@live.ie.

Call Chris or Colette Tel: 066-7126399 or e-mail : traleeadvertiser@gmail.comFriday 7th October 2022 TRALEE ADVERTISER14
New business (Intersport Elverys) at Dunnes is progressing along! Busy at work in Courthouse lane! Great Craic and Music last Sunday at Ashes Coffee! Dingle Food Festival bounces back ...BIGTIME! Great progress here at Austin Stack roundabout Venue: KERINS O RAHILLYS BALLYRICKARD, TRALEE V92E264 Join Me, I’m h o s t i n g ! Every cup countS! Come along, donate whatever you can and help your local hospice make a life a little brighter. Recyclable hospicecoffeemorning.ie @TogetherForHospice @BewleysIreland #togetherforhospice Every euro raised locally stays locally in aid of: KERRY HOSPICE Time: Sunday October 9 th 09.30 am - 1 pm CHY1144 RCN 20001827

Is

Call Chris or Colette Tel: 066-7126399 or e-mail : traleeadvertiser@gmail.com Friday 7th October 2022TRALEE ADVERTISER 15 ADVERTISING
knee pain holding you back? Come & talk to us! Take that first step & Call me, Kevin: 087-6153328
Kevin
Prunty (Owner) Msc NMT Kieran Slattery NMT Or Book Online @ kptherapy.ie KP Therapy, Brandon Hotel & Leisure Centre, Princes St, Tralee E-mail: kevin@kptherapy.ie | kieran@kptherapy.ie We specialise in: Neuromuscular Therapy | Pilates based Rehabilitation and Relaxation Massage. Also: Stubborn Back Pain, Pre & Post Natal Discomfort, Breathing Pattern Disorders, Clicking or Painful Jaw and excessive tension. 'LET ME DESIGN YOUR PERFECT KITCHEN ' CALL ME TO ARRANGE YOUR CONSULTATION... IDEAS, DESIGN AND QUOTATION KITCHENS by Michael Michael Mc Namara, Kerry, Ireland 085-7531877 / mmcnamaracarpentry@hotmail.com CONTACT There is no charge for this! (*T & C's Apply) 5 YEAR GUARANTEE

Are you ready to take on the Les Mills GRIT challenge?

Do you have two 30 minutes per week for you to improve your flexibility, strength, power and endurance?

The Les Mills 30 minute classes have been designed by top sports scientists to help you achieve the best possi ble fitness and results in the quickest time possible.

Join Catriona and Daniel who will be live on the floor performing the full Les Mills class with you. They are there to motivate, inspire and challenge you to go harder and to achieve your goals.

Les Mills GRIT is the next generation of High-Intensity Interval Training (HIIT). Combining hard-hitting soundtracks and the latest scientifically-tested moves that will push your body and mind. Les Mills GRIT is developed to improve your anaerobic stamina, increase your cardio vascular fitness and build your strength. Les Mills GRIT will shift your fitness to the next level. Les Mills GRIT workout uses barbell, weight plates and bodyweight exercises to blast all major muscle groups.

Les Mills has been delivering life changing fitness experiences since 1968 when their namesake four time Olympian Les Mills opened his first gym. Les Mills is on a mission to create a fitter planet. This doesn’t mean making people work out. It means helping people fall in love with fitness so that they want to work out.

Les Mills GRIT group exercise at Zero Gravity Fitness Studio, Manor West Hotel begin on 17th October and are bookable from the 10th October. Classes are available to members and non-members of the Manor West Hotel Leisure Centre.

Les Mills GRIT Monday & Wednesday at 7am and Tuesday and Thursday at 7.30pm

To book your place call 066 7194512 or email leisure@manorwesthotel.ie

Call Chris or Colette Tel: 066-7126399 or e-mail : traleeadvertiser@gmail.comFriday 7th October 2022 TRALEE ADVERTISER16 Keep your Business in Tralee and keep Tralee in Business! zerogravity | Manor West Hotel, Tralee, Co. Kerry

Autumn

Monday

AUtumn 2022 CLASSES

classes

7 00 - 7 30am LES MILLS GRIT Strength

9.00 - 9.30am AM Mobility (Members Free)

10.00 - 10.45am Stott Pilates Mixed Props

6.00 - 6.45pm Spinning

7 00 - 7 45pm Aqua Aerobics

Tuesday

7 00 - 7 45am Spinning

11.30 - 12.15pm Aqua Aerobics

1.15 - 1.45pm Mini H.I.I.T. (Members Free)

6.30 - 7.15pm Stott Pilates Intermediate Mat Work

7.30 - 8.00pm LES MILLS GRIT Strength

Wednesday

7.00 - 7.30am LES MILLS GRIT Cardio

9.30 - 10.00am AM Aqua Aerobics (Members Free)

6 30 - 7 15pm Stott Pilates Mixed Props

7.30 - 8.15pm Heart Rate Spinning

Thursday

7.00 - 7.45am Body H.I.I.T

1.15 - 1.45pm Core Conditioning (Members Free)

7 00 - 7 45pm Aqua Aerobics

7.30 - 8.00pm LES MILLS GRIT Cardio

Friday

9.00 - 9.30am AM Mobility (Members Free)

10.00 - 10 45am Stott Pilates Intermediate Mat Work

11.30 - 12.15pm Aqua Aerobics

Call Chris or Colette Tel: 066-7126399 or e-mail : traleeadvertiser@gmail.com Friday 7th October 2022TRALEE ADVERTISER 17 ADVERTISINGUse your Feet, not your Fingers! Shop Local
2022
CLASSES BEGIN ON 17TH OCTOBER AND ARE BOOKABLE FROM THE 10TH OCTOBER. Classes are available to members and non-members of the Manor West Hotel Leisure Centre. TO BOOK YOUR PLACE CALL 066 7194512 OR EMAIL LEISURE@MANORWESTHOTEL.IE

THE

HAIR RESTORATION

Tribella is a complete facial rejuvenation treatment available at CHRC, Bon Secours Hospital Tralee. This award winning treatment combines three different technologies for exceptional outcomes. It includes a photofacial treatment, anti-ageing treatment and resurfacing treatment.

The following are our most frequently asked questions:

Who is Tribella for?

Tribella is for anyone concerned with fine lines, wrinkles, laxity, redness and pigmentation and who wants the ultimate skin rejuvenation.

What is the session like?

This treatment is non-invasive and there in no surgery involved. The treatment feels comfortable and warm on the skin. You can relax as the three-in-one process works to rejuvenate and refresh your skin.

What will I look like after the session?

There is downtime with this treatment and allow yourself a maximum of two days as there can be redness visible on the skin. This short period will give your skin time to rejuvenate and heel.

How many treatments will I need?

Everyone’s skin is different; we will develop a treatment plan that is tailored just for you.

We suggest three treatments to get the most optimum results and allow 4-5 weeks in between each treatment session.

How long is each session?

Allow up to two hours for the three treatments.

How long before I will see results?

You will see a difference from one week and full results will be roughly three months after your final treatment. For maintenance, we recommend two further treatments after your three sessions.

The Tribella treatment is a great option for people who don’t have time for regular facials.

It is also perfect for value conscious people who want a treatment that will give them enduring results.

Take a look at the back page for more information on our Tribella special offer for the month of October!

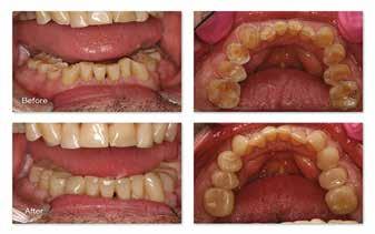
DENTAL

TEETH GRINDING

1 in 5 people

How can I tell if I grind my teeth?

Patients normally have a history of fractured llings , crowns or unrestored teeth. Others notice that their teeth appear shorter , rough or uneven . Other symptoms include muscle spasm headaches, neck pain, clicking jaw . Often bruxism presents as jaw joint /TMJ Joint dysfunction or sleep apnoea. The majority of patients grind their teeth in their sleep and therefore are unaware !

What causes tooth grinding?

There are many factors which contribute to toothwear.. largest being stress. Tooth grinding is the bodys unconscious coping mechanism.Other factors include issues with the bite or occlusion

What is the treatment for bruxism?

Tooth grinding is usually managed and or prevented using the following methods... Avoidance of stress using exercise or medita tion, avoidance of chewing gum of hard foods, massage to the muscles of mastication(chewing)anti-in ammatorys, administration of botulinum toxin to the muscles, mild oral sedatives, use of a nightguard/splint/jaw exercises. If you have any of the above symptoms it is best to consult with your dentist for treatment. Your dentist may restore your teeth using dental bonding (whiten lling material ) to restore the shape and size of the teeth and or crowns depending on the level of wear

Call Chris or Colette Tel: 066-7126399 or e-mail : traleeadvertiser@gmail.comFriday 7th October 2022 TRALEE ADVERTISER18 NEWS Keep your Business in Tralee and keep Tralee in Business!
TEAM AT THE CLINIC ARE HERE TO ANSWER YOUR QUESTIONS ON COSMETIC AND
ISSUES. Call us on 086 0786120 or send an email to chrc@bonsecours.ie
CORNER is association with Susan Don’t hesitate to contact me Dr Susan Crean BDS (HONS)NUI MFD RCSI PG CERT PG DIP ORTHO MSC Call 066-7117577 | info@creandental.ie www.creandental.ie
grind their teeth in Ireland. Bruxism is in fact a very common dental disease. The vast majority of cases are unknown to the patient until they enter the acute phase i.e severe pain and debilitation.
. For further details contact S.Crean on info@creandental.ie
Call Chris or Colette Tel: 066-7126399 or e-mail : traleeadvertiser@gmail.com Friday 7th October 2022TRALEE ADVERTISER 19 ADVERTISINGUse your Feet, not your Fingers! Shop Local

AN IRISHMAN APPLIES FOR A JOB AT HIS LOCAL STABLES

After being shown around the yard the Irishman was asked if he has ever shoed a horse before, After a long pause... He replies “I’ve haven’t, but I once told a donkey to buzz off”

A MAN WALKS INTO A PET STORE AND ASKS FOR A POLAR BEAR

surprisingly the store has one for sale. But the assistant warns the man:

“Do never, under any circumstances, tickle the bear behind the ears.” Of course, the man buys the bear and cheerfully takes it home. After a while he can’t help the urge any more and tickles the bear behind the ears. With a wild roar the polar bear lunges at the man, who runs away in great fear. The bear chases him through the whole house, down the stairs, into the kitchen and around the table, where he finally catches up to the man, pats him on the back and says: “Tag, you’re it!”

SO A REDHEAD, BRUNETTE, AND BLONDE WALK INTO A BAR...

This bar has a magic mirror that consumes anyone who lies The redhead comes in and says “I think I’m the most beautiful girl in the world” and she gets sucked in The brunette comes in and says “I think I’m the most beautiful girl in the world” and she gets sucked in The blonde comes in and says “I think-” and she gets sucked in

WHO HAS BETTER FRIENDS

A husband and wife are having a friendly debate one night, centered on the topic of who has better friends. They each offer a wide variety of anecdotes and stories, but in the end, they decide to put it to the test. “Here’s what we’ll do,” the wife suggests. “I’ll call your friends, and you call mine. We’ll both pretend that the other person hasn’t come home yet, and that we’re worried. Whoever’s friends give the best advice about where to find us clearly know us better, and therefore are better.”

The husband agrees to the game, and they both head off into separate rooms. When they reconvene a half an

hour later, the husband looks defeated.

“Okay, honey,” he says, “I think it’s pretty clear that you have better friends. Every one of them listed each of your favorite restaurants, salons, shops, and art galleries, and they had phone numbers for each of them. They knew your work hours by heart, your office extension, your boss’s name, and even the route that you take home.”

The wife shakes her head. “No, dear,” she replies, “you have better friends.”

“Why do you say that?” asks the husband. “Well,” the wife replies, “most of them said that you’d been at their place, and three of them said that you were still there.”

THE GUY WHO INVENTED THROAT LOZENGES DIED LAST WEEK.

There was no coffin at the funeral

Call Chris or Colette Tel: 066-7126399 or e-mail : traleeadvertiser@gmail.comFriday 7th October 2022 TRALEE ADVERTISER20 NEWS Keep your Business in Tralee and keep Tralee in Business! Know any funny Jokes? Share with us - send them to traleeadvertiser@gmail.com LAUGHTER ....THE BEST MEDICINE !
Disclaimer: please note that all jokes are submitted to us by external contributors / readers and we do not have any input into their content or composition.
Call Chris or Colette Tel: 066-7126399 or e-mail : traleeadvertiser@gmail.com Friday 7th October 2022TRALEE ADVERTISER 21 ADVERTISINGUse your Feet, not your Fingers! Shop Local Sharon's Slimming World Tralee Pipe Band Hall Wednesdays 9am & 10:30 am & 5pm & 6:30pm Contact Sharon 089-2201599 Sharon's Slimming World Tralee Nora's Slimming World Manor Retail Park Thursdays 9am & 10:30am &5pm & 6:30pm Fridays 8am, 9:30am & 11:00am Contact Nora 087-2489838 Nora's Slimming World Tralee Sharon Nora Wednesday Tralee Pipe Band Hall, Matt Talbot Road, Tralee 9am & 10:30 am 5pm & 6:30pm Thursday Manor Retail & Leisure Park, Tralee 9am & 10:30am 5pm & 6:30pm Friday Manor Retail & Leisure Park, Tralee 8am, 9:30am & 11:00am New Member Talk and Existing member weigh in takes place during the first 30 mins of each session Sharon 089-2201599 Nora 087-2489838 Nora 087-2489838 Norma Foley TD Minister for Education & TD for Kerry Constituency Office: 1 Bridge Place, Tralee Co. Kerry. Tel: 066 716 9052 Email: Norma.Foley@oireachtas.ie Always available to support and assist with any queries or issues you might have. ROLLING BACK THE YEARS is available in the following bookshops, O’Mahony’s Bookshop, Upper Castle St, Tralee, Polymath Bookshop, Tralee, Cleary’s Photography, Russell St, Tralee, The Kerry Bookshop, Rock St, Tralee, Quality Framing Company, Matt Talbot Road, Tralee, Paddy Commane Bookshop, Rock St, Tralee, Easons Bookshop Killarney and O’Connors Bookshop Killarney or email clearypresspix@gmail.com ROLLING BACK THE YEARS A PHOTOGRAPHIC HISTORY OF LIFE IN TRALEE AND COUNTY KERRY BY JOHN CLEARY ONSALENOW

Lee Strand/Kerry Garda Youth Achievement Awards 2022

One hundred and seventy people from across the county attended the 25th celebration of the Lee Strand Kerry Garda Youth Achievement Awards 2022 in the Ballyroe Heights Hotel, Tralee on Friday, September 30th. The evening commenced with dinner and was followed by a presentation of twenty-five awards, . Twenty Merit Awards, a Group Award, a Special Achievement Award, a Community Safety Award and the Overall Winner Award were presented on the night. This year also welcomed the introduction of a new award entitled Inspiring our Youth Award. The awards scheme which first commenced in 1998 are held for youths between the ages of thirteen and twenty-one years and recognise the great contribution young people have made and continue to make to their communities in Kerry.

Twenty-one year old Patrick Clifford from Milltown was announced as the Overall Winner of the Lee Strand Kerry Garda Youth Achievement Awards 2022. The Lee Strand Kerry Garda Group Award was presented to Bandage your Language, Mercy Mounthawk in Tralee.

The Lee Strand Kerry Garda Youth Special Achievement Award was presented to Cian Heaslip from Tralee. The Lee Strand Kerry Garda Youth Achievement Community Safety Award was presented to Tommy Boyle from Castleisland. The Inspiring our Youth Award was presented to Mary Gardiner. Twenty Lee Strand Kerry Garda Youth Achievement Merit Award Certificates were presented to individuals who have made a positive contribution to their community and make it a better place to live. The recipients were: Allanah O’Sullivan, Tralee; Aoife Bourke, Blennerville; Caitlin McEnteggart, Firies; Cathal Casey, Ballinskelligs; Chloe Lynch Herlihy, Killarney; Ciara Nix, Tralee ; Dean McCarthy, Listowel; Dylan O’Connor, Killarney; Ethan McIntyre, Killorglin; Jared Tritschler, Listowel; Jessica Griffin, Tralee; Leah Murphy, Kilgarvan; Markas Bielovas, Killarney; Nicole Walker, Ballymacelligott; Odhran Ferris, Ardfert; Oisin Colton Foley, Castlemaine; Sarah O’Donoghue, Killarney; Shauna Riordan, Castleisland; Shay McCarthy, Waterville and Tara Foley, Killorglin.

Tadhg and Brian sail for the Cup this weekend

Assistant Commissioner Eileen Foster stated “An Garda Síochána in Kerry is proud of our continued association with the Lee Strand Kerry Garda Youth Achievement Awards. . This year is particularly significant, as it marks 25 years of the Kerry Youth Achievement Awards An Garda Síochána would also like to acknowledge the ongoing efforts of Lee Strand in supporting the awards and providing a platform which recognises the efforts of young people throughout their communities. Donal Pierse, Chairperson, Lee Strand commented

“Lee Strand is delighted to support the Kerry Garda Youth Achievement Awards since 1998. . The awards are a fantastic celebration of their outstanding achievements. We would like to congratulate all of this year’s winners and thank our customers for supporting Lee Strand. It is only with the continued support of our customers that enables Lee Strand to continue to sponsor great celebrations like the Kerry Garda Youth Achievement Awards.”

Kerry sailors competing in the 75th Anniversary of the Irish Sailing Champions’ Cup this weekend. The Irish Sailing Champions’ Cup takes place at Sutton Dinghy Club, Dublin on 8th and 9th October. This prestigious event is celebrating its 75th anniversary, and has run every year since 1947 until 2020’s historic pause due to covid. One of the most unusual regattas in the world, the Irish Sailing Champions’ Cup sees sixteen competitors from different classes (or types of boat) compete to find sailing’s “champion of champions”. Despite coming from a wide range of one design classes, they race against each other in a boat that is often unknown to many. In the line-up from Kerry is Tadhg Ó Loingsigh and crew Brian Fox who compete for Tralee Bay Sailing Club.

Karol sinks 4 for Fenit Samphires!

Call Chris or Colette Tel: 066-7126399 or e-mail : traleeadvertiser@gmail.comFriday 7th October 2022 TRALEE ADVERTISER22 NEWS Keep your Business in Tralee and keep Tralee in Business!
Under 14 Div2. Fenit Samphires FC v Listowel Celtic FC. From left Harry Neale ( Scored 1 ), Karol Kowalczyk (Scored 4 ) photos Adam Kowalczyk
ADVERTISINGUse your Feet, not your Fingers! Shop Local BOYLES BUSINESS PARK • CLASH • TRALEE • PHONE - 066 7180200 KELLIHERS Mills Farm, Garden & Pet Supplies WWW.KELLIHERSMILLS.COM CHICK OUT OUR POULTRY SALE This Saturday 8th of October 10.30am-11.15am HOME KEYS ALSO CHECK OUT OUR GIVEAWAYS ON FACEBOOK OPENING HOURS: OPEN MONDAY TO FRIDAY 8.30AM TO 6PM SATURDAY 8.30AM TO 3PM CLOSED SUNDAYS AND BANK HOLIDAY MONDAYS CAR KEY TROUBLE? SPECIAL OFFER We have an onsite Locksmith and also a call out service. • Same Day Service • All Makes and Models Covered • Keys Kept in Stock • Extremely Keen Prices • Shop in Tralee • Mobile Service available More info Call: 085 7698898 Great for muscle and joint aches and pains Stove heat coal 20kg 3.75kg bucket of peanuts and 3.75kg Bird Mix with every 25kg Peanut bag 2 FOR €30 STOCK BACK IN Ritcheys Muscle Rub 1 OF EACH €18 RRP€22.50 3 FREE EASY PEASY BIRD FEEDERS
Call Chris or Colette Tel: 066-7126399 or e-mail : traleeadvertiser@gmail.comFriday 7th October 2022 TRALEE ADVERTISER24 Tralee by Night... ROUGE plays Paddy Mac's this Sat! IG SCREEN R FOOD MENU! Live Music Every Night! Bar & Restaurant | The Square, Tralee Live Music Fri & Sat! Paddy Mac’s Pub Tralee Town Centre WATCH PREMIER LEAGUE LIVE IN PADDYS! Entertainment every weekend SATURDAY: ROUGE FRIDAY: PAULIE O'BRIEN SUNDAY: JOHN HURLEY Tralee Sweeps The Boards! ...Congratulations to All The Winners!
Call Chris or Colette Tel: 066-7126399 or e-mail : traleeadvertiser@gmail.comTRALEE ADVERTISER ADVERTISINGUse your Feet, not your Fingers! Shop Local 4 BRIDGE ST TRALEE CO. KERRY CALL US ON: 066 7180044 / 066 71 93751 LIBERTY PIZZA DEAL TRY OUR Go on! Go on! Treat yourself! CALL: 066 7180044 • ANY Extra Lge 16' Pizza • Choice of 2 Sides (Chips Wedges, Garlic Bread) • Dipping Sauces • 3 Mineral Cans 0NLY €24.95 OPENNOW ORDER ONLINE www. royalindiatralee.ie 10% OFF on online orders Open Every Day (Except Tuesdays!) EATING OUT IN TRALEE TEL: 066-7144777 OPENING HOURS MONDAY - SUNDAY4pm-11pm Delivery Service Manor West, Tralee, Co. Kerry 7 DAYS A WEEK: 4.30PM TILL LATE DELIVERY CHARGE €3.50 (under 3km) FREE bottle drinks when order over €40 NEW FREE prawn crackers with every order Sit down Restaurant & Take-away NEWMENULAUNCH Celebratethebrandnew ConnieFoxesEveningMenuwith 20% offwhenyouspend €50! Offervalidwitheverydinnerreservation Friday&Saturdaynightsafter5pm, untilNovember2022. Tel.0667127755 Unit 5c, Horan Centre, Tralee Call: 066-7193720 Open: Mon-Sat: 8am-5pm | Sunday 9am-5pm Bank Holidays - Closed Everyday: Homemade Freshly baked Lasagne, Shepherds Pie and more Breakfast • Carvery • Lunch HORAN CENTRE DELI ENJOY 9 LUNCHES AND NO 10 IS FREE! DELI JG Healthy Juices & Smoothies Prepared as you wait! TRIED OUR BELEAF JUICE BAR YET? Located at Grill & Thrill , Castle St , Tralee Open Mon-Sat 12-10pm /Sun 3-10pm Ph 066-7117703 NEW! BUBBLE JUICE& BUBBLE TEASYOU GOTTA THESE!TASTE

MTU Launches Ambitious “Our Shared Vision” Strategic Plan

“The launch of MTU’s first strategic plan, ‘Our Shared Vision’, is an historic milestone for our staff and students, as we build on past successes and work together to become a truly great, internationally competitive technological university,” says Professor Maggie Cusack, President of MTU.

“Our Shared Vision” places a major emphasis on delivering outstanding learner education and experience to produce work-ready graduates; increasing investment in MTU’s staff and the communities within which MTU is embedded; achieving significant growth and impact across MTU’s research, innovation and entrepreneurship ecosystem; leading regional development; and adopting a global outlook across all of MTU’s activities. Minister Simon Harris TD presided over the launch of “Our Shared Vision” on 3-Oct-

2022 at 11am on MTU’s Kerry North campus.

Speaking at the event, Minister Harris said:

“At a time when the world is facing major challenges in areas such as climate change and geopolitical instability, the importance of higher education has never been greater.

“The development of MTU will prove to be transformative for the South West Region. We now have the vision for the next five years.

“With the support of my Department and additional investment, MTU can be a TU with a global reach.”

According to Professor Cusack, the development of MTU has been an unqualified success to date. Since its establishment, demand from CAO applicants for MTU’s courses has been very strong. In addition, MTU’s total research expenditure continues to feature at the upper end of the scale across

Ireland’s Technological Universities.

With a further huge increase to come in the number of students seeking higher education opportunities across the South West, the launch of MTU’s new strategic plan could not have come at a better time.

MTU has a student enrolment of more than 18,000 across

Ardfert U13'S win Tralee/ St Brendan's Shield

Ardfert Captain, Rohan Kirby, receiving the Under 13 Div 2 Shield, kindly sponsored by Timberland, Kitchens & Flooring, last Sunday afternoon, from John Slattery, Secretary of Tralee Town Board after their victory over John Mitchels.

Na Gaeil

Under 13 Team

winners of the Tralee/ St Brendan's Under 13 Div 1 League Final Last Sunday afternoon.

6 campuses and offers more than 140 programmes of study. MTU is the first new university to be established in the South West since 1845.

Pictured at the launch at MTU Kerry campus were Minister Simon Harris TD, Professor Maggie Cusack, President, MTU and Jimmy Deenihan, Chair of MTU Governing Body.

Welcome back Jack !!

KSC were delighted to welcome back former swimmer Jack Grace to the club last Friday Jack enjoyed great success with KSC during his years with the club , Representing the club at provincial & national level and subsequently chosen to train with the Swim Ireland High Performance Squad, National Centre Linerick on his first year of University. Jack continues to be a great ambassador for our club and they wish him continued success...

Call Chris or Colette Tel: 066-7126399 or e-mail : traleeadvertiser@gmail.comFriday 7th October 2022 TRALEE ADVERTISER26 NEWS Keep your Business in Tralee and keep Tralee in Business!

PRAYER

THE MIRACLE PRAYER

With greatful thanks to Our Lord,Our Lady and the Scared Heart for many prayers heard and answered.Amen. L.T.

PRAYER TO MOUNT CARMEL

THE MIRACLE PRAYER

MIRACLE PRAYER

Dear Heart of Jesus in the past I have asked for many favours, this time I ask you this special one (mention favour). Take it dear Heart of Jesus and place it within your Heart where your Fa ther sees it, then in his merciful eyes it will become your favour not mine. Amen. Say this prayer three times for three days and your favour will be granted. Never known to fail. Must promise publication of prayer. M.O.M.

MIRACLE PRAYER

Dear Heart of Jesus in the past I have asked for many favours, this time I ask you this special one (mention favour). Take it dear Heart of Jesus and place it within your Heart where your Fa ther sees it, then in his merciful eyes it will become your favour not mine. Amen. Say this prayer three times for three days and your favour will be granted. Never known to fail. Must promise publication of prayer. M.O.M.

Dear

of Jesus

within your Heart where your Fa ther sees it, then in his merciful eyes it will become your favour not mine. Amen. Say this prayer three times for three days and your favour will be granted. Never known to fail. Must promise publication of prayer. J.M.

Dear Heart of Jesus in the past I have asked for many favours, this time I ask you this special one (mention favour). Take it dear Heart of Jesus and place it within your Heart where your Fa ther sees it, then in his merciful eyes it will become your favour not mine. Amen. Say this prayer three times for three days and your favour will be granted. Never known to fail. Must promise publication of prayer. M.B.

Call Chris or Colette Tel: 066-7126399 or e-mail : traleeadvertiser@gmail.com Friday 7th October 2022 27 ADVERTISINGUse your Feet, not your Fingers! Shop Local DENTURE REPAIR & CLEANING SERVICE IS YOUR DENTURE BROKEN OR IN NEED OF A CLEANING? Our technicians can help! SAME DAY SERVICE AVAILABLE Call: 066 71 72946 | 087 0913665 Caherbreagh, Tralee, V92 Y9P0 (Close to Ballyseedy Garden Centre) • ALL APPLE PRODUCTS FIXED IPHONES; IPADS; IPODS... INCLUDING LATEST MODELS • OTHER MAKES TOO... SAMSUNG, NOKIA, HTC & MORE • WE ONLY USE GENUINE PARTS... NOT COPIES! • ASK ABOUT OUR 1 HOUR SERVICE • WE CAN REPAIR & UNLOCK 99% OF ALL PHONES • SCREEN REPLACEMENT, WATER DAMAGE, PHONE REFURBISHMENT, IPAD REPAIRS.. YOU NAME IT! "If we cant fix it, nobody can fix it!" Barrack Lane (Pennys Lane), Tralee 066-7103553 | info@blue-team-gsm.com We specialise in fixing SmartPhones! Call Adam, email Adam or Call up to Adam @ “Solucionamos los teléfonos” “Ripariamo i telefoni” “Nous fixons les téléphones” “Wir reparieren Telefone” Replace the iPhone battery? from as little as €15 (DEPENDING ON MODEL ) YES, WE CAN! Tralee SNOOKER Club 20 Pembroke St. | Open 10am till late 6 Top Class Snooker Tables 5 Full-Size American Pool Tables All Welcome! Call: 066-7126388 The Harp and Lion, Church St, Listowel Tue- Sat: 12 - 4pm or e-mail: keith.harbour@yahoo.com Old Irish Bank Notes Stamp Collections | Old Coins WANTED IN MEMORY Dear Heart of Jesus in the past I have asked for many favours, this time I ask you this special one (mention favour). Take it dear Heart of Jesus and place it within your Heart where your Fa ther sees it, then in his merciful eyes it will become your favour not mine. Amen. Say this prayer three times for three days and your favour will be granted. Never known to fail. Must promise publication of prayer. L.T. Dear Heart of Jesus in the past I have asked for many favours, this time I ask you this special one (mention favour). Take it dear Heart of Jesus and place it within your Heart where your Fa ther sees it, then in his merciful eyes it will become your favour not mine. Amen. Say this prayer three times for three days and your favour will be granted. Never known to fail. Must promise publication of prayer. J.O.M.
Heart
in the past I have asked for many favours, this time I ask you this special one (mention favour). Take it dear Heart of Jesus and place it
THE MIRACLE
THE MIRACLE PRAYER THE MIRACLE PRAYER THE
THE
O
Most beautiful
flower
of
Mount
Carmel, fruitful vine, splendor of
Heaven, Blessed Mother
of the Son of God, Immaculate Virgin, assist me in this my necessity. O Star of the Sea, help me and show me herein You are my Mother. O Holy Mary, Mother of God, Queen of Heaven and Earth, I humbly beseech You from the bottom of my heart to succor me in this necessity. There are none that can withstand Your power. O show me herein You are my Mother. O Mary conceived without sin, pray for us who have recourse to Thee. (3 times) Sweet Mother, I place this cause in Your hands. (3 times)Say this prayer for 3 consecutive days and then you must publish it and it will be granted to you. P.O.D.
Call Chris or Colette Tel: 066-7126399 or e-mail : traleeadvertiser@gmail.comFriday 7th October 2022 TRALEE ADVERTISER28 NEWS TOP SOIL FOR SALE Quality Screened Top Soil in one tonne bags suitable for flower beds, gardens, vegetable plots etc. Also bark mulch, horse manure compost and decorative stone. Kerry’s main supplier for Enriched Topsoil. Enrich Topsoil with compost Contact 087 2485038 � POWER WASHING � GUTTER CLEANING � PAINTING � GARDEN MAINTENANCE � PLASTERING � SLABBING � BLOCKLAYING etc. CONTACT 087-2817972 FOR MORE INFORMATION ON SERVICES NO JOB IS TOO BIG OR TOO SMALL PROFESSIONAL HANDYMAN SERVICES WITH OVER20 YEARS FULLYEXPERIENCE!INSURED HOME IMPROVEMENTS • Plastering / Dry Lining / Slabbing • Roof works / Carpentry Works • Extensions • Chimney Rebuilds / Repairs • Renovations & Attic Conversions • Competitive Prices • Tax Compliant Local Experienced Builder CALL DERMOT 087-7732061 JOHN KERINS & SON DRAIN SOLUTIONS, TRALEE • SEPTIC TANK CLEANING • BIO CYCLE CLEANING • DRAIN & TOILET UNBLOCKING • CCTV CAMERA INSPECTION CALL US NOW! 087 225 4569 | 087 252 3312 DRAIN PROBLEMS??? THECOVERINGGREATER TRALEE AREA& KERRY TRADES Emerald Roofing WE DO ROOFS! • Repair or Replace • Slate Roofs, Tile Roofs, • Felt Roofs , Shed Roofs Call us now: 087 9830736 E: emeraldroofing14@gmail.com Also: Gutters, Facias, Soffits, Ridge Tiles, Roof Painting & Cleaning LOCAL COMPANY FULLY INSURED CARPENTER AVAILABLE All Home Maintenance & Internal Fixing CONTACT PATRICK 087-2079279 PLACE YOUR ADVERT HERE FOR AS LITTLE AS €20 PLACE YOUR ADVERT HERE FOR AS LITTLE AS €20 Graham on 086-0574298 or John on 087-9674609 | Email: rogers_grah@yahoo.ie C2 Registered & Fully Insured | Farmers Bridge, Ballyseedy, Tralee Qualify for a grant? Leave it all to us Highly Qualified Builders Over 30 years Construction experience Domestic & Commercial Call us, Graham or John for a chat, our expert advice and a FREE Quotation BUILD YOUR DREAM HOME? TALK TO US! We specialise in: New Builds | Extensions | Renovations | Roof Works Contact us on 085 266 3287 to book an appointment (if required) FREE COLLECT & DROP SERVICE TRALEE
Call Chris or Colette Tel: 066-7126399 or e-mail : traleeadvertiser@gmail.com Friday 7th October 2022TRALEE ADVERTISER 29 ADVERTISINGUse your Feet, not your Fingers! Shop Local ROOF SERVICES EXPERTS • Roof Repairs • Guttering Repairs • Fascia Soffits. • Flat Roofing • Roof Cleaning • Valleys & Broken Tiles • Bird Protection. • New Roofs • Roof & Gutter Cleaning info@readyroofing.ie | readyroofing.ie CALL 087 252 4633 FREE QUOTES Top Quality Workmanship LIKE A NEW BATHROOM? We Take Care Of Everything from Start To Finish! We Dispose Of All Rubbish We Include Plumbing, Tiling & Electrics We Supply All Bathroom Ware And Tiles Satisfaction Guaranteed Call Peter @ 0851826422 WINDOWS & DOO R S LT D. (A Rated Windows) We Do Drains! Unblocking | Desludging | Grease maintenance | Cleaning | CCTV Inspections Testing | Repairs | Maintenance | EPA licencing ...and much more! Make sure to do a Pre-Purchase Inspection of the drain system! Call us now! 4 Park Business Centre, Farranfore Ph: 0669763070 | E: info@irishdrainservices.ie | www.irishdrainservices.ie ARE YOU BUYING A HOUSE? FREE Quotation for all works www.tliroofingandguttering.ie | tliroofingandguttering@gmail.com 24/7 phone number: 089-453-8686 VAT NO. 6251812f | Fully insured TLI Roofing and Guttering ● All aspects of Roofing ● Stale roofs, Tile roofs, Flat roots ● Roof Repairs ● Facia & Soffit ● Guttering & Downpipes ● Lead Valleys ● Emergency Call outs ● Chimney Repairs ● Bird Protection ● Dry verge system ● Roof Cleaning and Sealing ● Roof painting WANT TO FEEL MORE SECURE IN YOUR HOUSE OR BUSINESS? We can install an affordable CCTV Security system for you! CALL US NOW: 087-1378560 Also: » Satellite Dish realignment/replacement » TV problems solved » Aerial Installation » All types of CCTV installed OVER 10 YEARSEXPERIENCE BASED IN TRALEE • We Supply Composite Palliadio Doors & Windows Manufactured In Ireland • New Build, Replacement & Repairs • Broken Handles & Hinges, Patio Door Rollers, Door Locks, Gasket Seals & Replacement of Glazed Units Call For A FREE assessment: 085 8230 555 Email: ajwindows6@gmail.com | Website: www.ajwindows.ie

FAI NATIONAl P.R.O. OF THE YEAR

The Club Social happening this Saturday night Oct 8th is a sellout! U7’s boys & girls training is on Sundays @ 1030am .U8’S & 10’s had a great session with Coaching Officer Thomas Kearns last Sunday, no training this Sunday re Social.The Infamous Sylvie Mason blitz will happen Sunday week for all our Juveniles.The U12 Girls drew The Town League Final and look forward to the replay. A tough Town league match was played by the U14 Girls vith A Stacks winning .But look forward to the North Kerry S/F .The u16 girls lost to Finuge in rd 2 of the North Kerry league ,In The boys , the u9’S lost narrowly in the Shield semifinal at the Milltown/ Castlemaine Blitz while the U10’s finished 2nd in their group.The U13’s while losing to na Gael in the Town League Final had a great year winning the Rose Cup and reaching 3 finals .The u15’s play the Central League Final this Sunday , venue TBC.While the u17’s next game is V Na Gael TBC .The Senior Ladies play away to Dingle on Sunday week in the North Kerry League and the Senior Men wait to play Kerins O Rahillys in the Town League Final. The Juniors lost out 0-4 to 2-7 to a strong Ballymac team in the Town League Final last weekend . Bingo every Wed & Fri in Chamfers .Lotto ..there was no winner of the Jackpot with nos 2,3,19,28 drawn

ST PATS NOTES

Reminder that Club Registration is now taking place . The Healthy Running Club Event is proving very popular and open to all. The End of Season Family Fun Event is on his Sunday from 1030am , all welcome . Last Sundays Parish League was a great success with our U9 & U11 boys with last round games plus cup & shield finals this Sunday. St Pats was well represented by Derryquay & Blennerville National Schools in the Cumann na mBunscoil competition recently.The U5’s players of the week were Harry & Laila .U8’s & U10’s Girls finished their last training last weekend with the U12 Girls losing out by 1 point to Na Gaeil in the Town League SF , U11’S Boys played a great

Go Games match V Dingle last weekend and play Templenoe at home on Sunday Oct 16th . Seniors play away V Na Gaeil this Sunday in the Tralee /St Brendans Championship at 3pm , Congrats to Moss O Donnell on his 90th birthday .

No winner of the Lotto , nos drawn were 1,5, 11, 25 .Next Jackpot is €3400.

BALLYMAC NEWS

Senior B TEAM beat John Mitchels in the Tralee/St Brendans Junior League Final 2-8 to 0-4

Also winners and Junior B Champions! were the Senior Ladies V Fossa 2-7 to 1-7 last weekend .U12 Girls played Fossa in a challenge game on the same day .U8 & 10’S Girls and U9 Boys played a GO Games blitz V Dr Crokes in Killarney last Sat in Fitzgerald Stadium .

U15 Boys have reached the final of the Castleisland District League V Currow this Sunday . Clothes Recycling Event this Sunday at the training pitch 101045am

No Winner of the €3600 Jackpot Lotto , Nos were 28, 16, 25 , 3

AUSTIN STACKS NEWS

Seniors play Feale Rangers this Saturday in doubleheader County Championship at Austin Stack Park .AS B Team lost out to Kerins O Rahillys last weekend in the Molyneaux Shield Final

The u7’s & U9’s will be training on Sunday with things hotting up in the U9 Bracker Regan Cup.

A trip to St Finbarrs in Cork for the U9’S is on Sat Oct 15th .U11’S training on Thursdays while the U13’S travel this Sunday to play Bishopstown and welcome Carrigaline footballers the following Saturday .The U14’S enjoyed a visit on Sunday from Glanmire for a challenge game and then a County Board Bilitz in Caherslee last Monday but lost out to winners John Mitchels.

The Town League Semi final date

V Churchill is still TBC .Best of luck to all the Rock players in upcoming college matches. Lotto ..There was no winner of the €2300 jackpot…nos were 3,12, 18, 20 ..

KERINS O RAHILLYS NEWS

The Senior B team had a comprehensive victory over local rivals Austin Stacks B in St Pats GAA grounds Blennerville on Saturday evening last.in the Junior Molyneaux Shield Final 4-08 to 0-6

The U7’S played away to Churchill last Sunday while the U9’s had a surprise as David Moran took the training session .U5’s boys and U6 Girls also enjoyed a great morning .The U11’S hosted Firies in a challenge game last Thursday. U12 Girls have finished now for what was a tough season and look forward to a club day out in Nov /Dec .The Strand road Blues played Churchill in the Town league SF but lost out to a stronger side . Connolly Park was the venue for the Town League semifinal pairing of our Kerins O’ Rahilly team and Austin Stacks last Thursday evening. Austin Stacks edged it by 1 point in a great game of Football.U14 GIRLS …These ladies faced a very strong Churchill team in their second match of the Town League last Sunday in Pat Healy Park, Ballyrickard but lost out in the end to the stronger team ,They face Ballyduff this Sat in the North Kerry League .U16 GIRLS went to play Beale in the Nth Kerry League and won well Beale 2-03 Kerins O’ Rahilly 5-05.Next up they host Corca Dhuibhne.

Lotto …there was no winner of the Jackpot €3700 ..nos were 5,6,8,15

TRALEE PARNELLS NEWS

An Turas Mor …

On a sunny Saturday morning the inaugural Tralee Parnells 7 a side senior hurling tournament got under way. There were five teams in all, Fr Murphys from London, Crusheen from Co Clare, Dr Crokes from Killarney and the Parnells White and Black teams.Crusheen defeated Dr Crokes in the Cup final on a scoreline 8-7 to 7-6. While Fr Murphys defeated Tralee Parnells in the shield final.Our U11s Camogie travelled this to Killarney on Saturday for the Veronica Stack blitz.3 games in all.U13 Camogie Well done to our U13 camogie team who made it to the final of the Veronica Stack Blitz in Killarney last Saturday. With Síofra Murphy received the 'Player of the Tournament' award.U16 Hurling The under 16s defeated Ballyheigue to make it two wins from two in the North Kerry U16 league.

LOTTO

Congratulations to Graine Foley Joy and Joe Costelloe who won the lucky dip prizes of €25 each in last Mondays draw. The next

draw will take place on 10th October. Jackpot is €1000

TRALEE DYNAMOS

U12 Premier team beat Listowel

2-1 in a hard fought game .U12 Div 2 : The Second Team managed a well deserved draw against Listowel on Saturday last. The U-14 won well beating Camp Juniors 5-3 . A deserving win over the West Kerry side. with MOTM Eddie Carmody U-15 League .. The B Team came up short against the visitors Ferry Rangers in the League on Saturday. Losing 2-0. U-16 Premier : Killorglin got the better of the lads last Saturday in a very entertaining and high quality game.They play Corbally Utd from Limerick in Round 2 of the National Cup on Saturday Oct 22nd.U-16 Division 2 :... Listowel 2 – 1 Dynamos. A bad day at the office for the B team. KDL Premier Division..Killorglin 1 – 3 Dynamos…two wins from three away games in the Premier Division with a deserving win over Killorglin on Sunday morning.

Upcoming fixtures Sat Oct 8 U-13 Premier League Dynamos v Killorglin/ U-13 Div 2 Dynamos B v Mastergeeha/ U-15 Premier Kenmare v Dynamos/ Sun Oct 9 Munster Junior Cup Dynamos v Listowel Celtic.

GOLF... MAINE VALLEY GC

Results of Kerry Petroleum Singles 1/2 October: 1ST PLACE went to Mike P O Sullivan with 42pts with Brendan O SHEA in 2nd ,,Best Gross won by Shane Collins

Div 1-4 winners were Liam Martin Jer Joy Bernie Coffey Joe Daly

TRALEE DISTRICT FIXTURES

Tralee/St Brendan's Senior District Football Championship 1st Round Sponsored by Lee Strand.

Sat Oct 8 @ 2pm – Extra Time & Result on the Day Ballymacelligott V Churchill in Ballymacelligott….Sat Oct 8 @ 3pm – Extra Time & Result on the Day…Na Gaeil v St Pat's in Na Gaeil

KINGDOM SWIMMING CLUB looking forward to attending the 2022 Swim Ireland Awards in Dublin this weekend, having been shortlisted as one of the 4 finalists for the Club of the Year. The club are eagerly awaiting their first gala of the season this weekend in UL ;The Munster Aspiring Champions Gala is a 2 day event for swimmers 13+ .As the club celebrates its 40th anniversary this year, they would love to receive any photos and memorabilia of the club down through the years and share with you all;

Call Chris or Colette Tel: 066-7126399 or e-mail : traleeadvertiser@gmail.comFriday 7th October 2022 TRALEE ADVERTISER30 NEWS Keep your Business in Tralee and keep Tralee in Business! with “The Voice” Pat Harnett
TALKING SPORT WITH THE TRALEE ADVERTISER

Hall of Fame Time for Elaine & Kevin!

Open Water Marathon Swimmers / Coach from Tralee Co.Kerry

be

Ireland Marathon Swimming Hall of Fame

( Irish Long Distance Swimming Association

will take place at the

at their awards ceremony on Sat 19th November in Mullingar

two swimmers are Elaine Burrows Dillane

Swimmer

her achievements in Marathon Swimming

back

sport

Kevin Williams.....Category Administrator / Coach ...for his long term

promotion of the Sport and Success

to their target Marathon Swims

Call Chris or Colette Tel: 066-7126399 or e-mail : traleeadvertiser@gmail.com Friday 7th October 2022TRALEE ADVERTISER 31 ADVERTISING JOB OPPORTUNITY Mercy Secondary School Mounthawk, Tralee, Co. Kerry, as an equal opportunities employer, invites applications for CARETAKER / MAINTENANCE POSITION For further information call The HR Suite on 066-7102887 Job Specification and Application Form available to download from www.mercymounthawk.ie/ employment-opportunities/ e-mail application forms to jobs@thehrsuite.com by 5.00 p.m. on 11th of October 2022 Position: 20 hours spread over 3 days to include either a Saturday or Sunday. Rate of pay in line with DES structures. JOB OPPORTUNITIES
2
, will
inducted into the
Class of 2022 . This
ILDSA
)
. The
...Category
...for
and giving
to the
. And
dedication to and
in Coaching swimmers
. Well done Guys !

A c h i e v e y o u n g e r - l o o k i n g s k i n w i t h o u t n e e d l e s o r s u r g e r y .

Client

1 INTENSE PULSED LIGHT (IPL) PHOTOREJUVENATION

R e d u c e t h e v i s i b l e s i g n s o f p r e m a t u r e a g e i n g a s s o c i a t e d w i t h s u n d a m a g e s u c h a s f i n e l i n e s , w r i n k l e s a n d p i g m e n t a t i o n

TREATMENT 2 SKIN TIGHTENING

A c h i e v e f i r m e r , s m o o t h e r a n d m o r e y o u t h f u l l o o k i n g s k i n T h i s t r e a t m e n t u t i l i s e s a d v a n c e d r a d i o f r e q u e n c y t e c h n o l o g y t o r e j u v e n a t e t h e a p p e a r a n c e o f s k i n b y t r i g g e r i n g t h e p r o d u c t i o n o f c o l l a g e n a n d e l a s t i n

TREATMENT 3 SKIN RESURFACING

C o r r e c t t h e s i g n s o f s k i n d a m a g e a n d a p p r o v e t h e a p p e a r a n c e o f s c a r s , v i s i b l e p o r e s a n d d e e p w r i n k l e s . T h i s t r e a t m e n t u t i l i s e s a d v a n c e r a d i o f r e q u e n c y t e c h n o l o g y t o i m p r o v e t h e a p p e a r a n c e o f u n e v e n s k i n t e x t u r e

Call Chris or Colette Tel: 066-7126399 or e-mail : traleeadvertiser@gmail.comFriday 7th October 2022 TRALEE ADVERTISER32 Keep your Business in Tralee and keep Tralee in Business! €500 €450 “I WAS ABSOLUTELY DELIGHTED WITH THIS TREATMENT. I WOULD RECOMMEND IT TO EVERYONE BECAUSE IT WORKED FOR ME. ALL I CAN SAY IS-SEEING IS BELIEVING.” B R E D A C A R R I G
TREATMENT
A c h i e v e b r i g h t e r , s m o o t h e r , m o r e y o u t h f u l l o o k i n g s k i n w i t h o u r n o n i n v a s i v e T r i b e l l a a n t i a g e i n g t r e a t m e n t .
P i c t u r e
d
: C H R C T r i b e l l a C l i e n t , A g e 5 8 . TRIBELLA COMBINES THE FOLLOWING 3 TREATMENTS IN 1:
Selfie C H R C T r i b e l l a C l i e n t TO LEARN MORE ABOUT TRIBELLA OR TO BOOK IN FOR AN APPOINTMENT, EMAIL CHRC@BONSECOURS.IE OR PHONE 086 0786 120. WWW.BONSECOURSCHRC.IE * O c t o b e r O n l y . Have you read our CHRC column in this magazine?

Turn static files into dynamic content formats.

Create a flipbook
Issuu converts static files into: digital portfolios, online yearbooks, online catalogs, digital photo albums and more. Sign up and create your flipbook.
Issue 37 by TraleeAdvertiser - Issuu