4ta Edicion REVISTA DIGITAL TRAGONCITOSMX

Page 1

TRAGONCITOSMX GUÍA DESDE 2020 Tradiciones que nunca mueren web y redes www.tragoncitosmx.com Tragoncitos MX Tragoncitos MX Tragoncitos.mx info@tragoncitosmx.com

1 DIA DE MUERTOS

2 aLTAR Y OFRENDAS

3 CARPA MORADA

4 PICniC CAFE

5 CRUJIBITES MICHOACANA CIBER CAFE

6 PaSTELES NINA

7 LAS CAMILAS

9 AXOLOTE

10 RAINBOW

11 SABOREART

12 AL ANTOJO

13 aurora brunch

15 carnitas la victoria mini pancakes

16 elotes y esquites paty

17 los burritos de fuentes

18 mr chancho

19 pasteleria enrique jimenez

21 alitas mondragon

23 creaciones cadi

25 108 escondida il mondo della pizza

26 sabor de mon hamburgueseria los primos

27 kai zen sushi

29 rinconcito pozolero

31 cookies pa´la banda cuballet

32 palomitas deliziosas pasteles maja

33 frappuchidos

35 yiyermita semilla verde

36 ortodenti

37 fulanitos

39 botanas enjoy

40 paloma botanera

44 los tocayos

INDICE directorio Diseño Gráfico: Juan C. ParionaT Redacción: Johanna Küchel Publicidad y Producción Ejecutiva KÜCHELInteligencia Creativa

Dia de muertos

El Día de Muertos es una de nuestras tradiciones mas emblematicas celebrada el 1 y 2 de noviembre en la que se honra a los muertos. En el 2008 la Unesco declaró la festividad como Patrimonio Cultural Inmaterial de la Humanidad de México

Nuestros antepasados acostumbraban a hacer ofrenda en honor a los fallecidos casi todo el tiempo, practicando cansados pero intensos rituales con el propósito de que el difunto llegase con bien a uno de los cuatro paraísos según su forma de muerte, conteniendo comida, vasijas, cuchillos, piedras de jade y semillas; utilizaban a los perros xoloescuintles para que les ayudasen a ser la luz en el paso por el inframundo y no se perdieran sin antes llegar al paraíso, sacrificándo y enterrándolos junto con la persona fallecida. Cuando llegaron a América los españoles en el siglo XVI, trajeron sus propias celebraciones tradicionales para conmemorar a los difuntos, donde se recordaba a los muertos en el Día de Todos los Santos Al convertir a los nativos del Nuevo Mundo, se dio lugar a un sincretismo que mezcló las tradiciones europeas y prehispánicas, haciendo coincidir las festividades católicas del Día de todos los Santos y Todas las Almas con el festival similar mesoamericano, creando el actual Día de Muertos Otros elementos influirían en la evolución de las actuales costumbres del Día de Muertos; por ejemplo, en el centro del país, las epidemias que durante siglos azotaron a la Ciudad de México llevaron a la creación de cementerios fuera de la ciudad, y fue hacia 1861 que el gobierno comenzó a hacerse cargo de los entierros. Asimismo, en 1859 se consolidó la costumbre de adornar las tumbas con flores y velas, visitar los panteones los días 1 y 2 de noviembre: la clase alta por las mañanas y los pobres por la tarde. La gente de clase alta aprovechaba estos días para poder estrenar sus ropas negras que preparaban desde antes para poder lucirlas en los panteones.

TRAGONCITOSMX 1
TRAGONCITOSMX 2 Altar y las ofrendas Copale Incienso PapelPicado Comida Retrato BebidafaVoritA
Costillas Papas a la Francesa Alitas Hamburguesa SNACKS Ven y pasa un momento agradable, tenemos una gran variedad en Menú Horario: Jueves a Sábado 6:00 pm a 10:30 pm Domingo 2:00 pm a 9:00 pm CONÓCENOS!! SERVICIO A DOMICILIO 55 78640537 SERVICIO PRESENCIAL Calle Noche Buena Esq. Zarzaparrilas Mz 32 lt. 27 (Planta Baja) TRAGONCITOSMX 3

55

La mejor opción si de desayunos se trata, llevan 7 meses con la nueva administración. Pic Nic es un lugar acogedor, con platillos deliciosos, el establecimiento es muy limpio, los alimentos son frescos, brindan buena atención y el sazón es inolvidable. Aquí te consentirán de verdad, te sentirás como en casa. Lo más recomendable de su carta son los Molletes Pic Nic, Chilaquiles y Papas. Su comida está inspirada en “El sazón de mamá” y el gusto por la buena comida. Si de celebración se trata es mejor tu opción, desde cumpleaños hasta presentaciones de productos, libros, etc. Su capacidad es de poco más de 50 personas. Cuenta con servicio a domicilio, con un costo extra. Por el momento solo entregas en Parque R. C. El consumo promedio por persona es $150, sus precios van desde los $45 hasta $180.

coffe&snackshop Primaveras #66 P.R.C LUNES, MARTES, JUEVES Y VIERNES 8:30 A 16:30 SÁBADO 8:30 A 16:00 DOMINGO 9:00 A 13:00 Desayunos Especialidades Postres y más...
1200 9426 Pic Nic Coffee
TRAGONCITOSMX 4
5513842815 Martes a Domingo De 12 pm a 7 pm Viernes y Sádado hasta las 10:00pm Ven y conoce nuestro nuevo menú Sucursal Coacalco La carpa: Triomas esq, Zarzaparrillas Héroes Coacalco (Frente a la Farmacia) Chamoyadas Aguas de Sabor Dorilokos Frappes Paletas de Hielo Botanas Nieves y Helados Fresas con Crema LUNES a Domingo 11:00 am a 8:30 pm La Michoacana & Ciber Café Villa de las Flores entre Jaramangos y Violetas #121 5610252203 TRAGONCITOSMX 5
Nina 20 17 Pasteles Pasteles de Personalizados decoradas Pays y más ... mousse cupcakes Galletas Galleta 5613670176 5539004070 @NINA.galletas Av de las fuentes #12B Col. Rincón de las fuentes Martes a domingo 12:00 pm a 7:00 pm realiza tu Cotización TRAGONCITOSMX 6
TRAGONCITOSMX 7
TRAGONCITOSMX 8
TRAGONCITOSMX 9
Av. 16 de Septiembre #15 esq. Ixtlememelixtle, Planta Alta Coacalco centro por la escuela CUM Domingo a Jueves 9:30am a 9:30pm Viernes y Sábados 9:30am a 10:30pm Cafetería y Pastelería Rainbow.imd 55 4044 2413 PARTICIPA EN NUESTRO CONCURSO DE DÍA DE MUERTOS BUSCA LAS BASES DEL CONCURSO EN PÁGINA DE FB TRAGONCITOSMX 10
Miércoles a Domingo Y días Festivos 12:00pm a 9pm Saborear-t Calle Miguel Hidalgo #19 Coacalco Centro Ensaladas, pizzas, pastas, hamburguesa, alitas, sodas italianas, malteadas. 3er. Aniversario Ven y Celebra Nuestro Realiza tu pedido 55 28578757 TRAGONCITOSMX 11
encuentra sabor a sal con 3 cosas Justo para tu antojoahora alantojo_ymas_alla 56 3474 5071 Al antojo y más allá un dulce y un infinito Sabores sin límites TRAGONCITOSMX 12
Desayunos Completos Hot cakes ChapatasAuroraBrunch aurora_brunch 5562010732 AV. JOSÉ MARÍA MORELOS Y PAVÓN #83, LOCAL 6 TRAGONCITOSMX 13

lo que buscas es un delicioso desayuno en un lugar super lindo para disfrutar con amigos y familia Aurora Brunch es el lugar indicado , esta ubicado en Av Jose Maria Morelos y Pavon #83, Local 6 en Coacalco. Que podrás encontrar? chilaquiles, quesadillas jumbo, hotcakes, chapatas y sus especiales malteadas unicornio Además atienden eventos y puedes hacer tu evento ahí mismo, por el momento no cuentan son servicio a domicilio, pero si puedes hacer pickup

LUNES A VIERNES 8AM A 5PM SÁBADO 9AM A 4PM Si
"Platillos deliciosos en un lugar hermoso" TRAGONCITOSMX 14
Av. Blvd del Bosques Central, esquina Bosque de Arrallanes Frente a Almacen DICONSA De Jueves a Domingo 6:00 pm a 12:00pm Contáctanos 5541041886 Pancakes Banderillas Dulces y Saladas Sin Aceite Italianas Con Perlas Explosivas Sodas CARNITAS LA VICTORIA A LA LEÑA SABOR Y TRADICIÓN 8 décadas de sabor, nos llevan a la perfección Con cariño y con sabor directo a tu corazón Haz tu pedido 5589605971 5589720863 primaveras #44 parque recidencial c.i i jueves a domingo de 9:30 am a 5:00 pm TRAGONCITOSMX 15
55 32931862 55 67756535 un Elotito Y para ese Antonjito que tal ¡¡ !! HORARIO DEATENCIÓN Miércoles a Domingo 6:30pm a 11.:30pm Ubícanos: Av. Carlos Hank González #10 CONTAMOS CON SERVICIOS PARAEVENTOS Elotes Esquites y Snacks Paty TRAGONCITOSMX 16
Blv.Coacalco#417-EnelKIOSKOdeVilladelasFlores R LOS BURRITOS DE FUENTES Buscanos en: Lunes a Jueves 12:00pm a 9:00 pm Viernes y Sabado 12:00pm a 10:00 pm Domingos 12:00pm a 9:00 pm 3x2 EN NUESTRO LOCAL Promo Dia de Muertos TRAGONCITOSMX 17
Mr. Chancho Lunes a Domingo 9am a 6pm Tacos Tortas Chelas Carnitas Gorditas Tlacoyos Quesadillas Chilaquiles Mr Chancho @mr.chancho27 Realiza tu pedido al: 55 4854 2592 TRAGONCITOSMX 18

Pasteles para toda Ocasión

pedidos y cotizaciones

Endulza tus Momentos
TRAGONCITOSMX 19
Lunes a Domingo de 8 am a 8 pm @Pasteleria.Enrique.Jimenez venta de rebanadas viernes ,sábado y domingo 55 32304761 55 82377165 TRAGONCITOSMX 20
TRAGONCITOSMX 21
TRAGONCITOSMX 22
Horario de Lunes a 10:00am a Pasteles Cup Gaetas F Gela Gelapaletas Oreos Cakepops Manzanas y chocolate y Mojaditos y Mamuts personalizados Repostería para toda Ocasión Haz tu pedido 55 2141 8502 TRAGONCITOSMX 23
de Atención a Sábado a 6:00pm Pasteles Cup Cakes Gaetas decoradas Flanes Napolitanos Gelatinas Gelapaletas Oreos con Chocolate Cakepops y fresas con y con chamoy y Envinaditos personalizados TRAGONCITOSMX 24
RESTAURANTE,TIENDAYCATERING Verdines #129 Parque Residencial Coacalco Taqua y ParrillasDesayunos a la Carta Renta de Jardín para Eventos 55 1657 6439 Escondida108Parque escondida108parque Solo tienes antojo ó estás pensando en organizar un evento especial ? No lo pienses más y programa tu pedido con nosotros. Cumpleaños, Reuniones, Escuelas y Empresas TRAGONCITOSMX 25
El Sabor de Mon @ElSabordeMon 5546838694 Haz tu pedido por Whatsapp!! En algunas zonas se pide compra mínima de 100 a 150 pesos Postres - Crepas - Alitas Waffles - Malteadas Snacks y mucho más Sábado: 19:15 pm a 22:45 pm Domingo: 19:15 pm a 21:45 pm SERVICIO A DOMICILIO 55-1431-0913 BOULEVARD COACALCO #571 VILLA DE LAS FLORES TRAGONCITOSMX 26
Siguemos Kai Zen Lunes, Martes y Miércoles Rollos y yakimeshi 2 x $100 VIERNES, sábado A DOMINGO CHAROLAS DESDE $250 Jueves ramen y combos desde $130 TRAGONCITOSMX 27
HAZ TU PEDIDO 56 3398 3696 55 7700 8204 Horarios de 1 pm a 9.00 pm Contamos con servicio a domicilio Nos ubicamos en Av de la Cruz 15 San Mateo Cuatepec Tultitlan. Edo México. Siguemos en Kai Zen Sushi Japón Zen Sushi SERVICIO A DOMICILIO GRATIS 3.5KM TRAGONCITOSMX 28
EL RINCONCITO POZOLERO 55 3635 Calle Jose María Morelos#24 (A un costado de la gasolinePOZOLE VIERNES 1:00 PM A 5:00PM SABADO Y DOMINGO 10:AM A 5:00PM TRAGONCITOSMX 29
3635 4666 los#24 Coacalco Centro gasolinera G500) BIRRIA CHILAQUILES COMIDA CORRIDA LUNES A MIÉRCOLES 1:00 PM A 4:30PM PANCITA COCHINITA PIBIL PAMBAZOS TACOS TRAGONCITOSMX 30
Lunes a Sábado 8:00am a 9:00pm Entrega de Pedidos A partir de 5:00 pm a convenir dependiendo el pedido COOKIES PA' LA BANDA 55 3444 0499 Baby Ballet Ballet Principiantes Pre Ballet Inscripción Mensualidad Gratis Calle 2 y Av de las Rosas Entrada de CTM y Laurel Clases Presenciales Cuballet 55 4104 1886 $400 TRAGONCITOSMX 31
AV. SANCHEZ COLIN Mz 2 CASI ESQUINA IGNACIO ZARAGOZA VILLA DE LAS MANZANAS A 2 MIN DE LA LÓPEZ PORTILLO LUNES - JUEVES 12 A 8PM VIERNES Y SÁBADO 12 A 9PM Haz tu Pedido Palomitas Dliziosas 5539987283 - DEGUSTACIÓN GRATIS - ELABORADAS AL MOMENTO - UTILIZAMOS BOLSA BIODEGRADABLE - PRODUCTO DE 1RA CALIDAD - CASERAS - MÁS DE 26 SABORES Lunes a Viernes Envíanos mensaje vía Whatsapp o nuestras redes sociales. Entregas en Linea 2 del Mexibus o Guadalupe Victoria. Trabajamos sobre Pedido. 10am a 8pm 10am a 4pm Sábados Pasteles Personalizados Cupcakes Gaetas Pastel Japones Fresas con Chocolate Mesas de Dulces 5531080073 Pasteles MAJA TRAGONCITOSMX 32

Si de refrescantes bebidas se trata debes conocer a FRAPUCHIDOS… tienen más de 2 Aquí podrás disfrutar de principio a fin y notarás la calidad incluso en el empaque y tradicional, sus frappés de cajeta y Rompope te encantarán. Pero si lo tuyo es experimentar que no te van a decepcionar. Con casi 50 sabores hasta el momento, te garantizan más solicitadas están el de oreo, choco roles y picafresa, sin embargo, baileys y mordisk simplemente es una obra maestra. Si tienes un eventos puedes confiar en Frapuchidos accesibles van desde los $27 y hasta los $79 pesos. Cónocelos no te arrepentirás.

TRAGONCITOSMX 33

años ubicados en Calle J.M. Baird S/N, Granjas Cor, casi esquina con Edward Jenner. y por si fuera poco, podrás disfrutar de promociones TODOS LOS DÍAS. Si buscas algo xperimentar, los smoothies de Danonino y Pelonetes debes probar. Ten la seguridad de que cada uno de ellos sabe a lo que lleva por nombre. Dentro de las preparaciones mordisko son los que tienen la corona. Baileys como el más pedido, y mordisko porque rapuchidos ellos te darán una buena opción, cuentan con servicio a domicilio sus precios son

TRAGONCITOSMX 34
Venta de productos de Repostería Moldes de silicón Cortadores/ Utensilios Excelentes PreciosContáctanos #TeamYiyermosRepostería Yiyermita5527500613 Nos ubicamos en Parque Residencial oacalco Macetas, Plantas Decoración y más. Visitanos: Cardenales #143 P.R.C Contáctanos: 56 3599 7912 Arreglos para eventos XV anos, bautizos, etc. Horario de Atención 3 pm a 8 pm Semilla Verde @semi.llaverde TRAGONCITOSMX 35
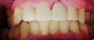
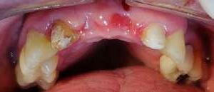
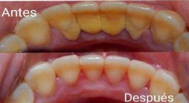
Carillas de Resina realiza tu cita Aplicación de flúor Limpiezas Cirugías Extracciones Brackets Limpieza y Aclaramiento Dental $1500 Bitchectomía ANTES DESPUES limpieza dental Prótesis dental ANTES DESPUES ANTES DESPUES 55 1832 4923 Guillermo Marconi 21D El Oasis - Coacalco de Berriozabal DESPUES ANTES ANTES DESPUES TRAGONCITOSMX 36
TRAGONCITOSMX 37
TRAGONCITOSMX 38
TRAGONCITOSMX 39
TRAGONCITOSMX 40
TRAGONCITOSMX 41
TRAGONCITOSMX 42
EL RINCONCITO POZOLERO 55 3635 4666 Calle Jose María Morelos#24 Coacalco Centro (A un costado de la gasolinera G500) POZOLE BIRRIA CHILAQUILES COMIDA CORRIDA VIERNES 1:00 PM A 5:00PM LUNES A MIÉRCOLES 1:00 PM A 4:30PM SABADO Y DOMINGO 10:AM A 5:00PM PANCITA COCHINITA PIBIL PAMBAZOS TACOS

Turn static files into dynamic content formats.

Create a flipbook
Issuu converts static files into: digital portfolios, online yearbooks, online catalogs, digital photo albums and more. Sign up and create your flipbook.