The Lakes West August 2024

Page 1


DENTAL DEDICATION

IMPLANT & COSMETIC DENTISTRY OF NORTHERN INDIANA PROVIDES COMPREHENSIVE, CUSTOMIZED CARE

Let’s Table That

Grant Phares Builds Out Business

Constructing Picnic Tables

Brick by Brick

Woodside Masonry Owner

Nelson Miller Brings

Expertise to Each and Every Job

(574) 249-9217

CLEAN SWEEP

Bill Miller, owner of Shipshewanabased Bill’s Long Reach Services, said the lockdowns related to the COVID-19 pandemic in 2020 prompted more business for him.

“During the pandemic a lot of the factories nearby were shut down for a while, and a lot of people in the area were looking around their properties and seeing a lot of pond and landscaping work that needed to be done,” Miller said. “It worked out for me. I did a lot of work for people at that time, and the business really took off. I started getting more calls from people that needed work done on their ponds. They had pond cleaning work that had been overlooked for a long time.”

Miller eventually was able to garner so much business that he decided to quit his full-time job and go into business for himself.

“I worked for the Forest River factory that

makes RVs,” he said. “It was a very good place to work. I worked there for 20 years. It’s been nice to be able to just focus on this as my job.”

Miller has been able to establish a business that has been successful through the positive feedback he gets from customers.

“I do pond excavating and I always make sure I do a great job.” he said. “I clean out existing ponds. A lot of ponds have sludge that has built up over the years and I clean them out. I spend a lot of time making sure everything looks good by the time I am done. It’s a great feeling to get positive feedback from a customer that says the pond looks better than

it did before I started on it.”

Miller said Bill’s Long Reach Services also does ditch cleaning.

“I also do the landscaping around the ponds,” Miller said. “I make all the areas look good. I do some preparation work before I start a

job, to see exactly what needs to be done to clean a pond out and have it looking great. I go around the pond perimeter and look at the high and low areas. I look at the ledges along the pond to see what work needs to be done.”

Miller noted that his quality work lasts for a long time.

“I do work that lasts for 10 to 15 years,” Miller said. “I have been able to get more work from satisfied customers telling their friends about me. I have a few customers that are wildlife preservationists. I work on the ponds and make them nice for all the ducks and geese. I make it a nice island for wildlife. I have received some very positive compliments from customers that were satisfied that I made an area look better, that also appealed to local wildlife.”

Miller said he loves working outdoors and being in nature.

“I love the water and the fish,” Miller said. “I love running the equipment and just being

outside. It all goes hand in hand. It’s work I have always enjoyed. My son, Tim, does some general excavating work for me, and he enjoys the work too.”

Miller developed an affinity for the work after watching a friend from Middlebury do similar work when he was younger.

“He was an excavator, and I was able to observe and learn a lot about how to do this type of work,” Miller said. “I took to it and eventually learned how to keep improving. The more time I did the work, the better I developed a keener eye for what needed to be done on each pond.”

Miller said he couldn’t be in a better place to do the work he enjoys.

“I love Shipshewana,” Miller said. “I love being so close to the water, and really enjoy fishing and being on the water.”

For more information, call Miller at 260-336-0775.

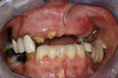
DENTAL DEDICATION

IMPLANT & COSMETIC DENTISTRY OF NORTHERN INDIANA PROVIDES COMPREHENSIVE, CUSTOMIZED CARE

Writer / Darcie Dodds Schott Photographer / Sarah Reynolds
Left to right: Dana, Shannon, Dr. Ian Barnard, Aricka, Shelby

Dr. Ian Barnard and the team at Implant & Cosmetic Dentistry of Northern Indiana in Rochester offer a one-stop shop for your dental needs. This team of dedicated professionals has over 10 years of experience in the dental industry, and this is evident in their caring approach to dental care. Serving patients in surrounding communities and as far as Michigan, Barnard’s team provides personalized dental treatments with an emphasis on whole-patient care.

Serving as practice manager since 2020, Aricka Ulery describes their approach as relationship building, rather than merely transactional dental procedures. “We get to know a patient and learn about their dental needs, and we also get to know them as a person,” Ulery says. Any type of dental care, even a simple cleaning, can cause anxiety for some patients, and the team prioritizes the comfort of every patient.

Born and raised in Indiana, Barnard

THE

MPLANT

I office in Rochester

earned his doctorate in dental surgery from the Indiana University School of Dentistry. During a residency in Ohio with a concentration on treating medically compromised dental patients, Barnard became certified in intravenous (IV) sedation. He moved to South Carolina to practice IV sedation dentistry for six years before relocating back to Indiana with his wife, Angela. Barnard completed the Resnik Implant Institute fellow course, is a graduate of the Kois Center, and completed a 300-hour implant MaxiCourse in Augusta, Georgia. He is an associate fellow in the American Academy of Implant

Dentistry and a fellow of the International Congress of Oral Implantologists.

Barnard took over the Implant & Cosmetic Dentistry of Northern Indiana practice from Dr. Ray Hazen one year ago, after working with Hazen. Almost 50 years of patient care in the same office location contributes to the rich history of community care of this pillar of Indiana dentistry.

Ulery describes the atmosphere of the office as far more than just a dental practice. “We are a highly skilled group of people

Town Square Tavern & Eatery

that is more like a family than a workplace,” Ulery says. When a patient walks through our door, they take intentional and thoughtful steps to ensure the right plan is selected. Barnard and the surgical assistant explain the treatment options so the patient is well-informed on the best resolution to their individual needs. The entire dental team is trained in IV sedation.

Restorative Assistant Shannon (last name withheld) focuses on resins and crowns, taking great care to build rapport with each patient. Treatment Coordinator and Surgical Assistant Angie (last name

withheld) has been a part of the practice for 20 years, offering comfort to patients throughout their dental procedures. With retirement on the horizon, she has worked closely with Surgical Assistant Shelby (last name withheld) to carry on the legacy of providing emotional support for patients through their dental journey.

Ulery says implant procedures and fullmouth rehabilitation are “a transformation that gives patients back their smile, and is a life changing experience.”

Dental implants and cosmetic procedures

are what make up the majority of patient care for the practice. Barnard and his team perform bone grafts, sinus augmentation, tissue grafts, implant prosthesis, oral surgery and IV sedation for the comfort of the patient during a procedure. In addition to implants and oral surgery, the team also does general-practice dentistry such as crowns, resins and other restorative procedures. Youth dental procedures such as wisdom teeth extractions are also offered.

For Barnard and his team, every patient is important in and out of the dental chair.

“We look beyond the specific procedure to ensure we address the overall goals for the patient,” Ulery says. “For example, repairing a defective tooth can be medically needed, but by doing so, we have given back to the patient their confidence in communicating strongly with their teacher, their boss, their family and friends.”

Each member of the team brings a specialized skill set to the patient experience. Barnard mentors other doctors and students to help them along their professional journey. Dental Hygienist Dana (last name withheld) teaches in the Ivy Tech Hygiene program, and she brings more than 10 years of experience to Barnard’s team, playing a critical role in patient care and maintaining implants and natural teeth. “She does a phenomenal job of educating our patients on navigating new home-care routines after implant placement and full-mouth restorative procedures,” Ulery says.

These mentoring and teaching efforts not only serve an educational purpose, but also introduce more people to the practice. “Everything we do begins with a sense of building a stronger community,” Ulery says. The team collaborates with local groups and organizations, supporting local schools and athletic teams, internships and mentorships.

Barnard brings a diverse menu of professional experience to his dentistry, as well as an awareness of whole-person health. Barnard models this philosophy personally, admitting that his own personal rejuvenation is a critical aspect of his successful practice. A self-proclaimed adventure-seeker, Barnard has amassed an impressive array of accomplishments. He has summited Mount Rainier in Washington state with his dad, trekked 600 miles trek across Spain with his wife, and conquered the 2200-mile Appalachian Trail. Perhaps Barnard’s most challenging title to date is the one he most recently

assumed, that of father to newly welcomed son, Zion.

We are not all extreme weekend athletes, but what Barnard’s hiking excursions provide is inspiration to anyone needing to recharge from the toll that weekly responsibilities take. His active lifestyle seems to be just what the doctor ordered, and the dental practice continues to grow, welcoming new patients from all age groups and many communities around Indiana and the Michiana region.

For anyone seeking a team of professionals dedicated to getting to know you beyond simply your dental procedure, Ulery says to call the office and arrange a consultation.

Implant & Cosmetic Dentistry of Northern Indiana is located at 1329 Main Street in Rochester. For questions and more information, visit northernindianadentistry. com or call/text the office at 574-223-3121.

Writer / Matt Keating Photographer / Jubilee Edgell
Grant Phares

Grant Phares, owner of Westville-based Grant’s Picnic Tables, said he started making picnic tables when he was a junior in high school, and decided it was also a good way to make money. He spent a lot of time learning how to continually make the tables better, and then decided he could turn the endeavor into a business.

“I started the business in 2023,” Phares said. “It’s a small business but it has taken off. I’ve been able to get enough orders to keep me busy. I’ve been very happy that I have been able to make this business a success. I’ve tried very hard to make sure the picnic tables are as well-built as they can be. It’s work that I enjoy very much.”

Phares noted that his picnic tables are very solid.

“I use good materials,” Phares said. “I use treated pine, and make sure they are very sturdy and dependable. They are durable, handmade tables that are customized to your liking. I have had customers say they also look good in their backyards, and they are great for family gatherings. The picnic tables are also heavy and long-lasting. They also look good.”

Phares noted that many of the orders he gets are for picnic tables for backyards and different businesses.

“I have been fortunate to have some customers recommend me to their friends,” he said. “That means a lot. I tell customers that I can make any size or style you want, to the best of my ability. I take the time to make the tables right, and make sure they are very sturdy and ready to go. I like being able to make different sizes and styles.”

Phares is glad he was able to learn how to make something that would help him earn money.

“I make two or three tables a week, and I also work on a farm, so I’m busy a lot,” he said. “I also make sure I have time to make highquality picnic tables.”

Phares noted that it takes him about five weeks from the time an order is placed to make a table and have it ready for a customer.

“I can also deliver tables to customers when they are finished,” Phares said.

Phares added that his prices are reasonable.

“My standard pricing for treated picnic tables is $240 for a 6-foot picnic table, and $260 for an 8-foot table,” Phares said. “A 10-foot picnic table is $320. I also have end benches that are $60 a pair.”

Phares can also get rid of old picnic tables.

“When you order a new picnic table, you get free removal of your old table,” he said. “I’ll take the old tables off your hands. The new

Pulaski Memorial Hospital is pleased to welcome Morgan Faanes, DPM, to our Medical and Surgical Group.

As a podiatrist, Dr. Faanes can treat a wide array of foot and ankle ailments, including ingrown toenails, warts, plantar fasciitis, arthritis, and many others. Additionally, Dr. Faanes provides several surgical options and will see patients in our Wound Care Center.

Dr. Faanes is accepting new patients at our Winamac Clinic.

picnic tables are great for parties, family reunions and holiday gatherings. A picnic is a perfect way to get all your family and friends together for a great time. People at the businesses have also been very satisfied with the work I have done.”

Phares enjoys the quiet atmosphere in Westville.

“I like the small-town feel,” he said. “People are very nice here and it’s a great place to live.”

Phares loves making sure his customers are very satisfied with their picnic tables.

“People are spending their money, and I make sure the tables are well-made and built to last,” he said. “I’m very satisfied that I have had quite a few happy customers.”

For more information on Grant’s Picnic Tables, located at 580 East Burdick Road in Westville, call Phares at 219-608-2840, or email grantphares05@gmail.com.

The Winning Edge

MILLERSBURG RESIDENTS FIND UNIQUE BUSINESS FOCUS WITH LIVE-EDGE WOODWORK

Starting in 2019, right before the pandemic began, Jonathan Lehman and his wife, Sharon, had the idea to turn their hobby into a full-time job. That is when their business, Live Edge Venture, was born.

When the business began, they worked primarily with walnut trees that they would cut down and turn into slabs. Walnut typically has a multitude of patterns, different depths of color, and a wide diameter to work with. This makes it ideal for creating many shapes and sizes of liveedge pieces.

Lehman explains how his customers often choose a tree from a family property, or even from their own backyard, that is already dying and needs to be removed. Rather than doing away with the wood, Lehman sees a potential work of art in front of him. However, if they do not have a particular tree of their own, the business has many options and sizes to choose from.

The process begins with Lehman meeting

with the customer and figuring out what they are envisioning. Many times he will suggest that a customer use a tree that is special to them, from their yard. Perhaps it could be an old tree that the owners and their children grew up swinging on, or it could be a tree that their grandparents planted and now is fully mature but needs

to be removed.

“This is one of the more special parts of the process for me, to bring the history and memories of the tree into their home,” says Lehman.

Once the tree is chosen, the staff can get

to work by cutting it down. This is no easy task, as some of these trees are old and rather large. Once the tree is cut down, Lehman is able to get a better look at the knots and unique grooves of the tree that will give it a one-of-a-kind appearance.

The slabs are then brought back to his shop

to be kiln-dried. This starts with a standard air drying method, where the natural airflow allows moisture to escape from the slabs. The time this takes can vary depending on the type of wood and the thickness of the slab. Next, it is dried in a kiln. This allows the wood to dry faster and more evenly than a typical air drying process. It also helps to control elements like steam levels, humidity and temperature.

When they reach the desired result, Lehman and his team are ready for the fun part. This is when he will pick out sections of the slabs for the customer’s desired project. If the customer does not know what they want to do with the wood, Lehman can suggest popular pieces such as nightstands, side tables, coffee tables, benches, chairs, wall art and even full-size dining room tables. Have an idea that he does not mention? Go ahead and ask. Lehman is always looking for a challenge.

Once the slab is chosen, the team is able to fill it with virtually any color of resin or epoxy to

turn an old piece of wood into a true piece of art. Right now, Lehman says different shades of blue are an especially popular color option. For example, if you are creating a table you can fill the knots and grooves with a blue epoxy that gives a beautiful, river-like appearance.

For Lehman, this process reminds him of his faith in his savior, Jesus Christ. As we all grow, we typically experience ugly, difficult times that we must overcome. Lehman says the same is true with trees. They have been through rough patches in their growth, but there is beauty that can be restored.

Lehman is currently working on a 12-foot food table for a family. It is definitely one of his more time-consuming projects thus far, but will be well worth the dedication and effort.

The options are virtually limitless when it comes to epoxy colors and designs. The company team members love hearing what customers have in mind, then bringing their vision to life. Besides the ever-popular aquas

and blues, epoxy options come in shades of lavender, clear, pink, orange, purple, green, yellow and more. Whether you are looking to match your current decor in your home or add a color that stands out, Live Edge is able to hook you up.

You can watch videos online and browse images for inspiration. However, there is no better way to see and feel the true product than to visit their showroom, which is open to the public. They recommend that you call ahead of time if possible, as they may be tied down with another project. Lehman is dedicated to educating his customers on the process and options when it comes to live-edge pieces, and wants to take the time to explain this to each individual.

Schedule an appointment or stop in Monday through Thursday from noon to 4:30 p.m., and Friday and Saturday by appointment only. They are located at 69793 U.S. Highway 33 in Millersburg, and can be reached via phone at 574-642-3533.

GUNS & GOLD - BOUGHT & SOLD

WE ARE CURRENTLY BUYING / SELLING THE FOLLOWING ITEMS:

• Gold Jewelry

• Sterling Silver Jewelry

• Platinum Jewelry

• Turquoise Jewelry

• Dental Gold

• Service Pins

• Pocket Watches

• Sterling Silver Flatware

• Dimes - 1964 & Before

• Quarters - 1964 & Before

• Halves - 1970 & Before

• Dollars - 1935 & Before

• Proof & Mint Sets

• Firearms

• Old Paper Money

• Old U.S. Coins

• Foreign Coins

• Gold & Silver Coins

• Gold & Silver Bullion

• Pennies - 1958 & Before

• Nickels - 1938 & Before

• Nickels - 1942-1945

LUXURY LODGING

BIDDLE POINT INN & EVENT VENUE IS ROOTED IN CUSTOMER SATISFACTION

Located on peaceful grounds in Plymouth, Biddle Point Inn & Event Venue serves as a haven for hotel guests, private events, corporate retreats and more.

Upon arrival, guests are greeted with personal attention and thoughtful appointments, including luxury linens and welcoming decor. Owner Sarah Norris expresses Biddle Point’s hospitality motto as “yes.”

“Whether a guest wants to find a quiet place for reflection or referrals for a delicious dinner in town, we strive to answer guests’ needs with specialized care,” Norris says.

Norris and her husband, Ken, acquired the property in 2019, having

Writer / Darcie Dodds Schott
Photographer / Tony Straw & Provided Photos from Biddle Point
Ken & Sarah Norris-Owners

nearly 10 years of experience in the hospitality industry as owners of the Norris Estate, a successful wedding service business in Nappanee. After acquiring Biddle Point, they spent the initial months honoring the hotel commitments in place by former owners. In 2020, when pandemic-related regulations shut down travel and hospitality, Norris donned an optimistic hat and used the time to give the property a fresh look and mission.

“Our family has a rich history of cherished time spent on Mackinac Island in Michigan, where we completely unplugged and were rejuvenated, so we looked for ways to translate that full-service elegance to the newly branded Biddle Point Inn,” Norris says.

The renovated space is a gentle nod to the island their family loves, with patterns, textures and colors throughout the property reflecting the feel of a destination property. “We hope people step onto the property and are greeted with unique colors and patterns they don’t see daily, and are led to feel joy, relaxation

Natalie Shields- Director of Events, Sarah NorrisProprietress, Mykelle Humphrey- Inn General Manager

POWER BOOST

and inspiration,” Norris says. “We believe that spaces have the power to make you feel.”

Elevated linens and furniture created the canvas that carries the descriptive new business tagline: “Boutique Inn & Event Venue - Luxury Rooms; An Infusion of Hospitality.”

Norris defines Biddle Point’s management approach as relational, versus transactional. “We are discerning in providing guests warm conversation, recommendations for local culinary experiences, or the space for quiet moments alone,” Norris says. “Whatever the need, we find the best possible way to deliver. A golf course adjacent to the Biddle Point property and a nearby airport pair nicely for guest activities.

Biddle Point guests will choose from 14 guest rooms, each configured differently, from carefully appointed rooms with king or queen beds to premium suites. Frequent guests include Notre Dame football fans who have

The EZ-Start eliminates the need for jumper cables. Small and compact so you can store it anywhere. Simple to use, great for emergencies. Capable of cold starting a diesel.

travelled into town from across the country, parents visiting their children at Culver Academies, and professionals attending corporate events who enjoy special rates. Full-property rentals are available as well, which can include the event venue and entire inn with capacity for 34 guests.

Forty One North Nosh & Wine event space opened in late 2023, offering a beautiful backdrop for celebrations such as bridal showers, weddings and milestone birthdays. “Events with a Purpose” involve

working with community groups and organizations who plan a gathering, with a portion of the proceeds benefitting a designated charity. To learn more about previous events, visit biddlepoint.com.

The mission statement for Biddle Point is rooted in a biblical verse from the book of Hebrews, and Norris confirms that faith is an important aspect of their approach to management. She embraces the diversity of guests who walk through the door at Biddle Point. “It’s

not a mistake that each person is here,” she says. “In the hospitality business, we know there is always a choice. We must be present and engaged in what’s happening with the people around us. Our motto is that every guest should feel amazing during their visit at Biddle Point.”

Biddle Point Inn & Event Venue is located at 7290 Michigan Road in Plymouth. For more information, visit biddlepoint.com or call 574-316-0203.

AUGUST CROSSWORD PUZZLE

DOWN

1. Chinese gemstone 2. Aware of

Least shaky 4. Pie baker’s utensil 5. Went nowhere 6. Poetic contraction

7. Took the tiller

8. Tough 9. “That’s it!” 10. “___ so fast!”

11. Anil or woad 19. Bit of sweat 21. Doze 24. It may be heightened 25. Advanced

26. Understands

27. Radar screen image 28. Liturgy

29. Seek a seat 32. Strikes out 33. Better half 35. “___ rang?”

36. Sidetrack

38. Butler at Tara

39. Cuban singer Cruz

42. Like some grins

43. Disavow

44. Flight delayer, perhaps

45. Jointly owned, maybe

46. Industrial injury

48. Babysitter’s handful

MAKING THE CUT WITH PROPER FOOD PREP

It’s been said that most people would do anything for love. It must be true because when we were early into our marriage, my husband had gotten a deer and decided that we would butcher in our kitchen! I was totally unprepared for this kind of “adventure.” We didn’t really have any of the things we would need to do the job right. Our knives were dull and we had no idea how to make the proper cuts. Did you know that if you don’t cut meat in the right direction, it can make your meat tough? Needless to say, that was the first time and that was the last time we attempted that! The next time my husband shot a deer, we had a professional butcher process it for us. Thank goodness love didn’t require that of me again.

I remember my mom’s fried chicken when I was growing up. I’ve never tasted any as good. It was the best ever! She would buy a whole chicken and cut it into pieces. I’m pretty sure she cut herself more than once. When she got older, she said it made her sick, so she would buy precut fried chicken. It must have been the memories from all those stories she told me about having to help butcher chickens when she was a girl. I thought it was funny when she talked about the chickens running around the yard headless - but I doubt the chickens thought it was very funny!

My mom’s family raised hogs, and when it came time to do the butchering it was a big family event. They would all gather and make a day of it. It was a lot of hard work but they all just enjoyed being together. There was a lot of fun and laughter. I had the privilege of getting to be part of that once, when we went down south for a visit. They would render the lard in a big cast-iron pot over an open fire. Then came the best partmaking the cracklings. Yum!

Back in the old days you couldn’t just go to the store and easily buy any kind of meat you wanted. Everyone worked hard to make sure they had meat on the table. I don’t know about you, but I’m thankful for all the conveniences we enjoy today.

Times have sure changed - some good changes, some bad. Life seemed simpler in a lot of ways, although it was a lot more work to get what we can just buy now with the tap of our finger. I’m glad that I don’t have to go out and chase a chicken around the yard just so I can enjoy fried chicken for supper. It’s already done for me!

Many children today have never had the opportunity to experience how hard it was to prepare food for the table. It is a whole-day adventure when preparing hand-processed meats and vegetables. Whether it is canning, freeze drying or many other methods of preserving, it just takes a little practice and knowledge.

Stop into New Kitchen Store at 1100 Roosevelt Road in Walkerton on August 17, from 9 a.m. to 6 p.m., for some tips and education on the use of knives and sharpening. Our factory reps will be here sharpening knives, and there will be prizes and much more.

Exquisite ELEGANCE

Accent

YOU SAY TOMATO

EXPERIENCE THE HEIRLOOM TOMATO FESTIVAL IN PIERCETON

Summertime means festivals galore for many American cities and towns. Each event is an opportunity for celebration unique to every community, with a little bit of history and a lot of local flair.

Such is certainly the case with the Heirloom Tomato Festival, held in the small but charming burg of Pierceton, Indiana. For one lively Saturday every year in August, hundreds of folks descend on the downtown corridor to pay homage to one of the season’s most robust produce items.

This year the festival is scheduled to take place on Saturday, August 24 from 10 a.m. to 4 p.m. at Brower Park, the Old Train Depot, and along the State Road 13 corridor. As always the anticipation is high, as a committee of six has been steadily and enthusiastically planning the 2024 edition down to the most intricate detail. In most recent years, the committee members estimate that some 1,500 patrons came to experience the

Now in its 17th year, the Heirloom Tomato Festival was founded by Patricia Knott, a connoisseur of the heirloom tomato and

17TH ANNUAL

PIERCETON, IN

AUGUST 24. 2024 10:00 AM TO 4:00PM

BROWER PARK & OLD TRAIN DEPOT DOWNTOWN ST. R. 13

Heirloom Tomato Festival for themselves.

a frequent consultant and renowned speaker on the topic. From the time of its inception, one of the main goals of the festival was to offer educational programs about various topics including self-sufficiency, environmental matters, and advice on growing and preserving tomatoes and seedlings. Over time, more attractions and features were added, such as craft vendors, music, competitions, baking contests and many other crowd favorites.

Visitors this year can expect all of the beloved traditions that have reigned in years past, including live entertainment, homemade ice cream, tomato tastings, specialty sandwiches and vegetable exhibits. New this year will be a Historic Walk through downtown Pierceton hosted by historian Joan Hostetler, starting at 11 a.m. Along the walk there will be enlightening information revealed about the stories behind the town, its buildings and its leaders.

The festival organizers will also bring back the Agricultural Art Show, which allows participants to indulge their talents using any artistic medium, so long as there is an agricultural connection. On a related note, with a slightly more lighthearted spin, there are Big, Bad and Ugly contests, which single out the person who can produce the most significant tomato worm, and, of course, include a quest to find the biggest, heaviest tomato. Musicians scheduled to perform include the band Cumberland Gap from 10 a.m. to noon, followed by John Potts from 12:30 p.m. to 2 p.m. The roster closes out with the band Beez and the Rocker, taking the stage from 2:15 p.m. to 4 p.m.

Two special guests will be on hand to share their insights and knowledge with the audience. Steve Koontz will give a presentation entitled “Lettuce Grow Together” from 10:30 a.m. to 11:30 a.m. Karen Richey will address the crowd

Barndominium

with her talk “Preserve It Now…Enjoy It Later” from 2 p.m. to 3 p.m. Additional groups making special appearances include the Pumpernickel Pewter Artists and the Class Act Troupe of dance students.

Youngsters can absolutely join in the family fun and festivities as well, with children’s games and the immensely popular Scavenger Hunt. Amateur sleuths of all ages are invited to search the town to find the golden tomato for a chance to win $250. There is also the morning 5K run/walk, which is open for registration by logging on to runsignup.com.

For more details or to inquire about becoming a vendor, visit piercetonchamber.com, call 574-797-3033, or email visitpierceton@yahoo.com.

BRICK BY BRICK

WOODSIDE MASONRY OWNER NELSON MILLER BRINGS EXPERTISE TO EACH AND EVERY JOB

Nelson Miller, owner of Woodside Masonry, said he has enjoyed his masonry work and was glad he decided to start his business.

“I got started two and a half years ago,” Miller said. “Previously I worked for another masonry crew, and I quit and went to work at the Salem Wildwood factory. I worked for the other masonry business for six years, and I worked at the factory for four and a half years. After a while I decided it was time to start my own business. I thought the time was right.”

Miller said it happened when he was working with some other carpenters.

“When a couple of carpenters asked me to do some work for them, I thought, ‘This is my opportunity to start my own crew,’” Miller said.

Some of the work Woodside Masonry does includes block walls.

“The block walls we build are rigid walls that support and can be retained on different sides,” Miller said. “Block walls last a very long time and can handle a lot of different weather.”

Miller added that block walls are also cost-effective and low maintenance. “They are good for holding heat in during cooler weather,” he said.

Woodside Masonry also does foundation work. “We do foundations for houses and barns,” Miller said. “There are different foundations that we can do, depending on the house. Sometimes the depth is different. Wood and stone were used on older houses. Some houses have concrete foundations. It all

Photos provided by Nelson Miller- Owner

depends on the home’s foundation type and the house’s design. The soil used is also important.”

Woodside Masonry also works on stone fireplaces. “Stone fireplaces are a great way to retain warmth in a home for a long time,” Miller said. “They are very durable and can take scratching over time. If they are taken care of, they can last a long time.”

Miller noted that Woodside Masonry can also put together stone walls. “Stone walls are also very durable,” he said. “They are very resistant to chipping and breaking over the years. They are load bearing, and they can really last a long time if they are also taken care of by the homeowner.”

Woodside Masonry also works on brick walls. “Bricks are resilient, fireproof, durable and can save on energy costs,” Miller said. “We can also do veneers if customers want those. Working with real stones takes longer.”

Miller noted that customer satisfaction is very important to him.

“We are a small, Amish crew that wants to please the customers,” Miller said. “We have three people on the crew. It’s just me and two other people. We make sure customers like all the work we do. We have had customers who have recommended us to their family and friends, and that’s good.”

Miller said he likes to work in the local area but is willing to travel to some work locations.

“We like to keep our jobs one hour from Topeka, but we do sometimes drive one and a half to two hours if we have to,” Miller said. “We make sure everything gets done. Some jobs take longer than others. It all depends on the job.”

Miller said he has been doing masonry work since he was young.

“I started masonry work when I was 16,” he said. “I enjoyed the work and wanted to learn more.”

Miller enjoys living in Topeka.

“I have lived in Topeka for all of my years,” he said. “I have never lived anywhere else.”

For more information on Woodside Masonry, located at 3270 West 700 South in Topeka, call Miller at 260-214-4502.

Located Indoors at the Shipshewana 345 S Van Buren Street, Shipshewana

riday, August 2, 2024

Lagrange County 4H Beef and Pork

Begin at 4 PM

Auction and HayStack Supper

Begin at 4 PM

Examples of some of our Quilts - Star, Blazing Star, Cabin Star, and many more, we are expecting 25-3

28th Annual Benefit Auction

Furniture: 5 Piece Solid Sap Cherry Bedroom Suite

28th Annual Benefit Auction

Everything Located Indoors at the Shipshewana Auction Barn 345 S Van Buren Street, Shipshewana Lagrange County 4H Beef and Pork Deals starting at 6 pm.

Contact: Executive Director John Sisson: 260-463-8519 or 260-210-0299 email: johnsisson@lagrangehabitat.org Friday, August 2, 2024

Everything Located Indoors at the Shipshewana Auction Barn 345 S Van Buren Street, Shipshewana Lagrange County 4H Beef and Pork Deals starting at 6 pm

Examples of some of our Quilts - Star, Blazing Star, Ferris Wheel , Lone Star, Log Cabin Star, and many more, we are expecting 25-30 quilts & comforters; Furniture: 5 Piece Solid Sap Cherry Bedroom Suite with a Queen Bed, Chest, Dresser, Night Stand and mirror; 8' poplar bench, Dining Table and chairs, Hickory Rocker, Cottage Lite Rockers w/side Table, Versas Patio Gliders and much more expected Power and Hand Tools, Farm Implements, Farm Products and Household items: Tornado RV/ Marine Batteries; Lambright Chimes; Milwaukee, Dewalt and Makita Power Tools; 12-12-12 Lawn Fertilizer; Echo and Stihl Hedge Trimmers, Heavy Duty Cargo Tie Downs and Straps, Bird Feeders, Halters and Leads, Buckets, Amish made Leather Belts of many sizes, Echo Chainsaw, 4x8 & 2x2 Raised Garden Beds, Trolling Motor, and much more coming in daily.......

Dresser, Night Stand and mirror; 8' poplar bench, Rocker, Cottage Lite Rockers w/side Table, Versas Patio Power and Hand Tools, Farm Implements, Farm Products Tornado RV/ Marine Batteries; Lambright Chimes; Power Tools; 12-12-12 Lawn Fertilizer; Echo and Stihl Cargo Tie Downs and Straps, Bird Feeders, Halters and Leather Belts of many sizes, Echo Chainsaw, 4x8 & 2x2 Motor, and much more coming in daily....... Gift Certificates: Yoders Dept Store, Heron Creek Warren Gallery and Grill, Tiffany,s Restaurant, Twin Six Tackle, Chain O'Lakes Country Store, Forks County Line Wana Feed, Shipshewana Pharmacy, Blue Gate Hotel, and Main Restaurant, Trading Post Mongo, King Veterinary

Power and Hand Tools, Farm Implements, Farm Products and Household items: Tornado RV/ Marine Batteries; Lambright Chimes; Milwaukee, Dewalt and Makita Power Tools; 12-12-12 Lawn Fertilizer; Echo and Stihl Hedge Trimmers, Heavy Duty Cargo Tie Downs and Straps, Bird Feeders, Halters and Leads, Buckets, Amish made Leather Belts of many sizes, Echo Chainsaw, 4x8 & 2x2 Raised Garden Beds, Trolling Motor, and much more coming in daily.

Examples of some of our Quilts - Star, Blazing Star, Ferris Wheel , Lone Star, Log Cabin Star, and many more, we are expecting 25-30 quilts & comforters; Furniture: 5 Piece Solid Sap Cherry Bedroom Suite with a Queen Bed, Chest, Dresser, Night Stand and mirror; 8' poplar bench, Dining Table and chairs, Hickory Rocker, Cottage Lite Rockers w/side Table, Versas Patio Gliders and much more expected Power and Hand Tools, Farm Implements, Farm Products and Household items: Tornado RV/ Marine Batteries; Lambright Chimes; Milwaukee, Dewalt and Makita Power Tools; 12-12-12 Lawn Fertilizer; Echo and Stihl Hedge Trimmers, Heavy Duty Cargo Tie Downs and Straps, Bird Feeders, Halters and Leads, Buckets, Amish made Leather Belts of many sizes, Echo Chainsaw, 4x8 & 2x2 Raised Garden Beds, Trolling Motor, and much more coming in daily.......

Gift Certificates: Yoders Dept Store, Heron Creek and Cedar Lake Golf, West on Warren Gallery and Grill, Tiffany,s Restaurant, Twin Six Restaurant, County Bait and Tackle, Chain O'Lakes Country Store, Forks County Line Stores, Mikes Automotive, Wana Feed, Shipshewana Pharmacy, Blue Gate Hotel, Theater and Restaurant, State and Main Restaurant, Trading Post Mongo, King Veterinary Clinic, and many more.

Gift Certificates: Yoders Dept Store, Heron Creek and Cedar Lake Golf, West on Warren Gallery and Grill, Tiffany,s Restaurant, Twin Six Restaurant, County Bait and Tackle, Chain O'Lakes Country Store, Forks County Line Stores, Mikes Automotive, Wana Feed, Shipshewana Pharmacy, Blue Gate Hotel, Theater and Restaurant, State and Main Restaurant, Trading Post Mongo, King Veterinary Clinic, and many more.

Surrey Buggy built by Omer 6:30pm.

Surrey Buggy built by Omer Fry will be up for bid at 6:30pm. Again this year will be offering phone in bidding for this item . Call 260-210-0299 in advance to pre-register.

Again this year will be offering item . Call 260-210-0299

Surrey Buggy built by Omer Fry will be up for bid at 6:30pm.

Surrey Buggy built by Omer Fry will be up for bid at 6:30pm.

Phone in registrations will Buggy will be on Display Store in Shipshewana

Again this year will be offering phone in bidding for this item . Call 260-210-0299 in advance to pre-register. Phone in registrations will be accepted until August 1st. Buggy will be on Display at Yoders Department Store in Shipshewana

Again this year will be offering phone in bidding for this item . Call 260-210-0299 in advance to pre-register. Phone in registrations will be accepted until August 1st Buggy will be on Display at Yoders Department Store in Shipshewana

Phone in registrations will be accepted until August 1st. Buggy will be on Display at Yoders Department Store in Shipshewana

Contact: Executive Director John Sisson: 260-463-8519 or 260-210-0299 email: johnsisson@lagrangehabitat.org

Contact: Executive Director John Sisson: 260-463-8519 or 260-210-0299 email: johnsisson@lagrangehabitat.org

Buggy Built by WestStar Shipshewana
Buggy Built by WestStar Shipshewana
2024 Retro 179 from Riverside RV in Lagrange
2024 Retro 240BH from Riverside RV in Lagrange
Cruiser Buggy Built by WestStar Shipshewana
2024 Retro 179 from Riverside RV in Lagrange
2024 Retro 240BH from Riverside RV in Lagrange
Cruiser Buggy Built by WestStar Shipshewana

BACK-TOSCHOOL BUZZ

Back-to-school season in northern Indiana is a vibrant and bustling time of year. As summer winds down, communities across the region prepare for the return of students to their classrooms. Northern Indiana, with its diverse mix of urban and rural areas, sees a variety of preparations and traditions as the new school year approaches.

Parents and students alike engage in the annual ritual of school shopping, filling carts with notebooks, pens and backpacks. Local stores often offer back-to-school sales, making this an opportune time for families to stock up on essentials. Additionally, schools themselves are busy preparing, with teachers setting up classrooms and finalizing lesson plans, while custodial staff ensures that the buildings are clean and ready to welcome students.

In local towns, the excitement is palpable as school sports teams begin their practice sessions, and marching bands can be heard rehearsing for upcoming performances. These activities not only signal the start of the academic year, but also bring communities together, fostering a sense of local pride and school spirit.

Meanwhile, in the rural parts of northern Indiana, the back-to-school season has its own unique charm. Many students in these areas might be coming from farms or small communities, bringing with them a wealth of practical knowledge and a strong work ethic. Schools here often emphasize agricultural education and community involvement, reflecting the region’s deep-rooted ties to farming.

Back-to-school time also means adjusting to new routines. For many families, this includes earlier bedtimes, more structured days and a renewed focus on academics. Local organizations and churches often host back-to-school events and fairs, offering everything from free school supplies to health checkups, ensuring that students are ready to succeed.

Overall, back-to-school in northern Indiana is a time of anticipation and preparation, marked by community spirit and a collective focus on education and growth.

YELLOWSTONE TRAIL FEST

Juanita Ketcham, events director for the Yellowstone Trail Fest, said the theme for this year’s festival is a fun one: “Mischief and Magic.”

The festival will take place from 9 a.m. to 9 p.m. on August 17, and from 10 a.m. to 4 p.m. on August 18, at the Starke County

Writer / Matt Keating Photographer / Jubilee Edgell
Festival Board Members: Rev. Spanley, Audrey Wood, Juanita Ketcham, Ronald Ketcham, Daniel Green, Cara Green, Larry Jernas, Mark Rippy, not pictured Shirley Rippy, and Tiffany Nagai

Fairgrounds in Hamlet.

“We hope folks will come dressed in their house colors, wear wizard cloaks and witches’ hats, and sport your wands and brooms,” Ketcham said.

The event will be fun for all ages according to Ketcham.

“Almost everything will be fun for the kid in all of us,” she said. “We will have a free wand-making station from 9 a.m. to 3 p.m. at the Lions Pavilion for those who don’t have one. Also, if you have made an amazing wand, there is a cash contest for the best wand. We will have a display at the information trailer, and guests will vote with dollars for their favorite wand on display. The winner is the jar with the most cash and will be announced at the end of the parade at 2:30 p.m. The winner keeps all the cash from their jar.”

Ketcham said there will also be a Bag of

Tricks Magic Show several times over the weekend, by Larry Wirtz.

Ketcham is excited about the Automotive and Motorcycle Show-Swap. The car show is sponsored by Street Freaks.

“The swap will come complete with some rocking music on the north end of the fairgrounds,” she said. “We will also have a new Gnome Toss this year in honor of the theme, as well as the traditional Hammer and Skillet Toss, all with cash prizes.”

Ketcham noted that the Hoots to Howls Wildlife Rehabilitation exhibit will be showcasing some owls.

“There will also be a snake man there, and maybe Nagini [the snake] will be slithering around too,” she said. “Mark’s Ark Animal Showcase from Auburn, Indiana, is going to be there from noon to 3 p.m. Sunday, with all kinds of unusual critters in his petting zoo including a huge tortoise.”

Ketcham noted that people shouldn’t forget the Quidditch Contest.

“Cash can be won by wizards of all ages by riding your house-colored broom till the music stops,” she said. “If your position and house is called, you win the cash! This will be held several times per event, and the events are scheduled several times over the weekend.”

Ketcham said there will also be a Golf Cart Scavenger Hunt.

“The Golf Cart Scavenger Hunt will have a lot of clues to find throughout the town and fairgrounds,” she said. “The team to make it back to us with a cauldron or envelope in hand from all the stops wins some cash as well. There are also many photo opportunities with our 8-foot, two-headed dragon, or some guest appearances from a famous wizardly movie. Yellow River Farms is even bringing their kiddie version of Hogwarts Express to ride around the fairgrounds.”

Ketcham noted that each year, the Leos Club from the Lions presents an Escape Room in their annual theme.

“They have been so excited about this year’s theme that they have even made the room larger to accommodate all the clues they wanted to use,” she said. “What a great fundraiser. Be sure to look for our wanted volunteers on the Azkaban posters hanging around.”

Ketcham added that guests also enjoy the same annual events each year.

“The traditional events are the Pine Car Derby on Saturday afternoon for youth, teens and old coots, with cash payouts in three placings,” Ketcham said. “There will also be an antique tractor pull on Saturday afternoon, a Rendezvous Camp all weekend with atlatl and ax throwing practice, a parade, we hope, with many magical-themed participants, and [build-your-own] RC racing on Sunday

down at the track here.”

On the night of Saturday, August 17, the action is in the sky with a grand fireworks display, preceded by the national anthem by the Great Lakes Sound Chorus at the ball diamonds, just east of the fairgrounds behind the food court.

Ketcham said there also will be great food available.

“There is a challenge to the food vendors

to create a special themed drink, and the winner gets a free vendor spot for 2025,” she said. “The retail booths who have the most theme-decorated booth have the same reward, and they receive the same size for 2025 as they had for Mischief and Magic 2024.”

Ketcham noted that the festival has been great since it started.

“The festival began in 2009 thanks to Marilyn Goodrich, who wanted folks to know that the first transcontinental road, known as the Yellowstone Trail, came through Hamlet, Indiana,” Ketcham said. “It began in 1912 by Joe Parmley, who realized he could increase commerce in his South Dakota town of Ipswich if folks coming from the east going to the new Yellowstone National Park had a good road to get there.”

To keep the festival interesting, a fun theme is chosen for the even years, and a historic

theme is chosen for the odd years.

“The third weekend was chosen because the town’s family doctor, Dr. Leinbach, had his birthday on the third weekend, and in the 1960s and ‘70s he used to throw a community gathering,” Ketcham said. “We wanted to meld the two events.”

Ketcham credits many people for the success of the festival.

“This community festival could not have succeeded without our many sponsors and volunteers,” she said. “A huge shout-out to all our sponsors, especially our platinum sponsors: Town of Hamlet, Hamlet’s Caboose Cafe, Jernas Land & Cattle, Rannells Funeral Home, Hoosier Solar, Starke County Community Foundation, and the Starke County Convention and Visitors Commission.”

Ketcham said anyone who would like to become a volunteer should reach out to

Yellowstone Trail Fest Board Vice President Cara Green at 574-933 2117.

For more information on the festival, check out yellowstonetrailfest.com or visit their Facebook page.

REMEMBERING HENRY F. SCHRICKER GOVERNOR, PUBLIC

SERVANT AND NORTHWEST INDIANA NATIVE

Writer / Jeff Kenney

This August marks a handful of anniversaries regarding one of the more prominent natives of the northwest Indiana lakes area - former Indiana Governor Henry F. Schricker.

First, August 30 is the 141st anniversary of Schricker’s birth, and this year also marks 75 years since he took office as governor of the Hoosier state for a second term - the first to do so in the history of Indiana. He also remains the only governor to hold two nonconsecutive terms (1940-1944 and 1949-1953) in the governor’s office.

And, in a remarkable what-could-have-been moment in history, 80 years ago this year Schricker had the opportunity to serve as vice president of the United States under President Franklin Roosevelt, had he chosen to accept the president’s offer!

Henry F. Schricker was born in North Judson, the son of Christoph and Magdalena Schricker of Bavaria. The Schrickers were some of many Germans who immigrated to America in the mid-19th

century and settled in the Midwest, arriving in 1867 in New York and moving from there to Starke County.

Eventually (in 1893) Christoph opened a store in North Judson, some years after

his first wife Elizabeth died, leaving son George (known as Billy) to be raised by her husband. Christoph Schricker later married Magdalena Meyer, and she gave birth to Henry Frederick in 1883.

Henry Schricker was educated in the public schools of North Judson, and graduated from the South Bend Commercial College in 1901.

Five years later, Henry F. Schricker was admitted to the bar, though he only practiced law briefly, soon thereafter taking a job as the youngest bank cashier in the state, serving at the Starke County Bank in Hamlet. He would later became a director of the First National Bank of Knox and was involved with the Knox Building Loan & Savings Association. In the meantime he purchased the Starke County Democrat newspaper, serving as owner and editor from 1908 to 1919.

Having married Maude L. Brown in 1914, Schricker continued his growing roster of community activities, including organizing the county’s first Boy Scout troop in 1912 (the Governor Schricker Eagle Scout Award Foundation today provides aid to Eagle Scouts hoping to carry on in Scouting), serving as chief of Knox’s fire department

for years, and becoming involved in democratic politics, serving as a delegate at numerous state conventions.

His political life outgrew his county of residence, and Schricker was elected a state senator in 1932 and lieutenant governor in 1936. In 1940 he was elected governor of Indiana on the democratic ticket, serving through most of World War II.

Contrary to some claims, Schricker

never actually ran for the office of vice president of the United States, but in 1944 a personal emissary from Franklin D. Roosevelt brought to the governor a request that he consider being the president’s running mate. One might contemplate the different course history could have taken if Schricker, who was completing the final year of his term as governor and felt he should serve his full four years, had not declined the offer, and Harry S. Truman had not become Roosevelt’s vice president.

At the time, state law forbid a second consecutive term for an Indiana governor, and Schricker instead ran in 1944 for the U.S. Senate, losing to Homer E. Capehart by just over a percentage point of the vote.

As his second term as governor concluded in 1953, Indiana had a $115 million surplus, reflecting the governor’s careful frugality (though he received

some criticism that more should have been spent on public services during those years).

And though his second bid for the U.S. Senate in 1952 - his final run for political office - was unsuccessful, Schricker remained a popular speaker and wellregarded community servant during and after his gubernatorial days, as evidenced by his having been chosen to speak at the nomination of Adlai Stevenson at the Democratic National Convention in 1952. He even played himself in the 1949 Hollywood movie “Johnny Holiday.”

In the years after leaving office, Schricker was the cofounder of the Wabash Fire and Casualty Insurance Company of Indianapolis, and he eventually retired to Knox in 1960.

At Schricker’s side for more than five decades was his beloved wife Maude, whose popularity with the public is credited

as aiding her husband’s political success.

As the Starke County Historical Society website puts it, “[Maude] radiated a kindness and gracious friendliness that was said to force the governor’s bitterest enemies to speak only good things about her. She was known as ‘Mom’ Schricker throughout the state, possessing womanly qualities that made her an invaluable asset to Governor Schricker throughout his long political career.”

Prior to his death in 1966, the couple spent many of those years in a Prairie School-style, two-story home in Knox that remained in the Schricker family from the time it was first built for them in 1915 until it was transferred to the Starke County Historical Society in 1974.

For more than 40 years after, the house at 401 South Main Street served as the county museum and was also placed on the Indiana historic register.

Here When You Need Us

HOURS & LOCATION

Here When You Need Us

New Location

Effective 9-7-2021! 115 E. 7th Street

HOURS & LOCATION

Here When You Need Us

New Location

Rochester, IN 46975 evansagencyrochester.com

Effective 9-7-2021! 115 E. 7th Street

HOURS & LOCATION

New Location

Effective 9-7-2021!

Rochester, IN 46975 evansagencyrochester.com

Tel: 574-224-6988

115 E. 7th Street

Fax: 574-224-6925

Rochester, IN 46975

Saturday By Appointment Evenings By Appointment evansagencyllc.com

Tel: 574-224-6988

Hours

evansagencyrochester.com

Monday-Friday

Fax: 574-224-6925

Tel: 574-224-6988

Hours

8 a.m.-4:30 p.m.

Fax: 574-224-6925

Monday-Friday

Saturday By Appointment Evenings By Appointment

Hours

8 a.m.-4:30 p.m.

Monday-Friday

8 a.m.-4:30 p.m.

Saturday By Appointment Evenings By Appointment

The museum was relocated to a more accessible location on South Heaton Street in 2018, two years after a planning grant allowed the historical society to assess the Schricker house. Over the next handful of years, according to Starke County Historian Venita Cunningham, various grant funds have been used towards an overhaul of the house - known in the Schricker family over the decades as “the 401” - to convert it to a house museum showcasing the Schricker family, targeting the period when Governor Schricker was serving his second term in office.

Plaster repairs, repainting, and even the restoration of the Schrickers’ backyard grape arbor were among renovations undertaken, with guidance from Henry and Maude’s grandchildren’s memories regarding furniture placement and family history. Some original furniture and other items were donated by the family for the home as well.

An open house for the newly restored Schricker House is planned for Saturday, October 5 of this year.

Henry Schricker has been memorialized in other ways in his home county as well.

The Hoosier Valley Railroad Museum in North Judson is home to a rolltop desk owned and used by Schricker, and serving the Knox community is the Henry F. Schricker branch of the Starke County Public Library, surely a most

fitting tribute to a man so passionate about service to the public and elevation of every member of his community. Jeff Kenney serves as museum and archives manager for Culver Academies and on the board of the Culver Historical Society.

Special thanks to Starke County Historian Venita Cunningham for her assistance with this article.

3 INGREDIENT BACK-TOSCHOOL CEREAL BAR

Ingredients

• 3 cups cereal of choice: example-Cheerios, Cinnamon Toast Crunch, Golden Grahams, Frosted Flakes, Special K, Cocoa Puffs, Trix, Fruity Pebbles, Lucky Charms

• 2/3 cup peanut butter or nut butter of choice

• 1/2 cup agave, honey, or brown rice syrup

• Optional ingredients: protein power, sea salt, fruit, chocolate, sprinkles, nuts.

Instructions

1. Line an 8-inch pan with wax or parchment paper (or double the recipe for a 9×13-inch pan).

2. If needed, gently warm nut butter until easily stirrable.

3. Stir all ingredients in a large bowl.

4. Pour the cereal mixture into the pan.

5. Place a second sheet of parchment over top, and

press the cereal down firmly into the pan. Press down very firmly, because this keeps the cereal bars from falling apart after cutting later.

6. Freeze for a half hour or until firm enough to slice into bars.

7. Cover leftovers. Store in the refrigerator or freezer or on the counter in a cool, dry place.

Optional twist

• Add fresh or dried fruit to the top.

• Drizzle on melted chocolate.

• Add nuts of choice

MECHANICALLY INCLINED

GABE UNGER OF G&T AG REPAIR IN KNOX GETS EQUIPMENT UP AND RUNNING

Harvest is almost complete. The farmer and hands only have 50 acres of corn left. The results of blood, sweat and tears from spring through fall will shortly be won. He climbs up into the cab, starts the

engine, turns on the separator and feeder house, and begins to harvest. Only 10 feet in, there is a squeal and the flow of grain stops. It looks like it’s going to be a short day after all. Or maybe not.

For continued reliance on your farm implements, or if your equipment is in need of overhaul, G&T Ag Repair in Knox is a guarantee of quality that you can depend on when the time arises.

Owner Gabe Unger

Owner Gabe Unger is no stranger to farm equipment. He was born and raised on the family’s grain and hog farm. At the age of 10, Unger began working alongside his grandpa, father and uncles. Mechanical knowledge started from the family farm and grew into a career. He has spent 15 years working at local Case IH dealerships, building on previous experiences and gaining knowledge. In 2022, G&T Ag Repair was started to offer affordable and reliable repairs to farms, no matter how small or large.

“It’s not really work to me,” says Unger. No matter the brand, G&T Ag Repair likes to work on it all.

From combines and tractors to many other types of equipment, no job is too big or small for G&T. Be it a cylinder, belt or bearing, parts can be acquired and installed so your equipment can be repaired and back in service as efficiently as possible.

On the Road Mobile Diesel Repair

Bigger jobs such as engine and drivetrain rebuilding can also be accomplished by G&T. Problems involving electrical, hydraulic and air conditioning components or systems often require attention, and G&T can address those issues as well. The company can also handle welding, along with fabrication of old and new components when necessary.

Preventative maintenance is also available. Inspections of combines and planters can be done any time of the year. These inspections involve a close look at the equipment itself, chains, pulleys, belts, sprockets, functions of all components, oil levels, and wear items. Every detail is taken into consideration so that equipment will run at its best, and be reliable in the spring, fall and everywhere in between.

Along with local maintenance, when the situation is crucial, G&T can come to you. With a well-equipped service truck,

Unger can come to your location and get you back out into the field or onto the job site.

In addition to agriculture equipment, G&T can also repair construction equipment. Be it for the farm or the job site, heavy equipment or light, G&T is the service that you can rely on. Recently Unger repaired a boat pier component for an elderly lady, demonstrating that no job is too big or small. Care and quality are two of the traits that lead to repeat clientele for G&T Ag Repair.

Tabbetha Unger provides the “T” in G&T Ag Repair, handling the accounting and paperwork. This is a true familyrun, mom-and-pop business. The duo provides reliable and quality assistance to the local agricultural community.

G&T Ag Repair can be reached at 765652-1481, or via Facebook.

AUGUST

KOONTZ LAKE/WALKERTON/ GROVERTOWN

ALL Times Listed Are Central

Every Monday

BINGO

Doors open at 5 p.m., early bird starts at 6 p.m., and regular games start at 6:30 p.m. at the Koontz Lake Association (KLA) community building.

Every Thursday

4p.m. – 6p.m.

Every Saturday

PICKLEBALL AT LION’S PARK (May-Oct) – 9a.m. – Noon

6

KOONTZ LAKE CONSERVANCY DISTRICT MONTHLY BOARD MEETING.

6p.m. - The meeting will be held at the Sewer District building located at 10625 E Prairie Ave in Koontz Lake. Interested parties may join remotely by calling (240) 591-0378 and entering the code 385729# when prompted.

September 1st

LABOR DAY PANCAKE BREAKFAST

Bring your appetite and come out to the Koontz Lake Fire Station located at 7784 IN-23, Walkerton, IN.

Rent the Koontz Lake Clubhouse for your next party! The rental fee is $100 for non-members, $75 for members with a $65 deposit that is refunded if no damage occurs to the clubhouse. If interested, please contact Cathy at 219-229-4424. The facility holds up to 100 people and has a fully equipped kitchen.

KNOX/STARKE COUNTY

ALL Times listed are Central Time

3

LOWPOA MEETING

9am - LOWPOA meeting at the BCC Building

17

BCC MONTHLY MEETING

9am – BCC Monthly meeting at the BCC Building.

17 - 18

YELLOWSTONE TRAIL FEST

Hamlet Fairgrounds

LAKE MAXINKUCKEE/CULVER/ MARSHALL COUNTY

ALL Times Listed Are Eastern

Every Saturday

GRAB N GO BREAKFAST AT THE CULVER LIONS CLUB. 9am – 11am 10

LAKE MAX TRIATHLON/DUATHLON 10

HUMANE SOCIETY BEACH PAWTY

haascabinet.com

Monday

Sunday

Roger Farris, NP
Walter Fritz, MD
John Bulger , MD
Lesley Metts, NP Lori Truesdell, LCSW

Turn static files into dynamic content formats.

Create a flipbook
Issuu converts static files into: digital portfolios, online yearbooks, online catalogs, digital photo albums and more. Sign up and create your flipbook.