Skip to main content

MarchApril 2026 ISSUU

Page 1


mike.trout@fdaservices.com 904.254.8927

561.791.7744

dennis.head@fdaservices.com

407.359.9700

joe.perretti@fdaservices.com

305.665.0455

FDC AND FDA AWARD WINNERS ISSUE

24 Florida Board of Dentistry Meets in Gainesville

28 Now Effective New HIPAA Rules Address Substance Use Disorder Records

32 Q&A With FDC2026 Scientific Chair Dr. Portnof

38 FDA 2026 Award Winners

46 FDC2026 Speakers: Full-Arch Dentist in the Digital Era: A Practical Pathway for the Modern General Dentist

50 FDC2026 Speaker: Developing Minimally Invasive Maximal Regeneration Outcomes with Bone Cement

56 FDC2026 Speaker: The Future of Dental Marketing: What Every Practice Needs to Know in 2026

60 FDC2026 Exhibit Hall

64 Dental Lifeline Network Volunteers Transform the Life of a Grandmother in Need

68 Trauma-Informed Care in Dentistry: Recognizing Responses and Preventing Re-Traumatization

72 Breaking the Restorative Cycle: How Material Choice Shapes Oral Health Outcomes

77 Americans with Disabilities Act — Make Sure Your Website is Compliant!

78 Human Papillomavirus Positive Oropharyngeal Cancer [HPV + OPC]: Early Diagnosis by Dentists

92 Off the Cusp

EDITOR

Dr. Hugh Wunderlich, CDE Palm Harbor

BOARD OF TRUSTEES

PRESIDENT

Dr. John Paul Lakeland

SECRETARY

Dr. Bertram Hughes Gainesville

SPEAKER OF THE HOUSE

Dr. Don Ilkka Leesburg

17TH DISTRICT TRUSTEE

Dr. Andy Brown Jacksonville

PRESIDENT-ELECT

Dr. Dan Gesek Jacksonville

IMMEDIATE PAST

PRESIDENT

Dr. Jeffrey Ottley Milton

TREASURER

Dr. Fred Grassin Spring Hill

EXECUTIVE DIRECTOR Drew Eason, CAE Tallahassee

To contact an FDA board member, use the first letter of their first name, then their last name, followed by @bot.floridadental.org. For example, to email Dr. Hugh Wunderlich, his email would be hwunderlich@bot.floridadental.org.

To call a specific staff member below, dial 850.350. followed by their extension.

EXECUTIVE OFFICE

Drew Eason • chief executive officer/executive director deason@floridadental.org Ext. 7109

Greg Gruber • chief operating officer/chief financial officer ggruber@floridadental.org Ext. 7111

Casey Stoutamire • chief legal officer cstoutamire@floridadental.org Ext . 7202

Lianne Bell • leadership affairs manager lbell@floridadental.org Ext. 7114

Lywanda Tucker • peer review coordinator ltucker@floridadental.org Ext. 7143

ACCOUNTING

Breana Giblin • director of accounting bgiblin@floridadental.org Ext. 7137

Leona Boutwell • finance services coordinator lboutwell@floridadental.org Ext. 7138

Dr. Tom Brown Orange Park

Dr. Sam DeSai Cape Coral TRUSTEES

Dr. Christopher Bulnes Tampa

Dr. Bethany Douglas Jacksonville

Dr. Karen Glerum Boynton Beach

Dr. Lance Karp Sarasota

Dr. Katie Miller Maitland

Dr. John Pasqual Delray Beach

Dr. Reese Harrison Lynn Haven

Dr. Eddie Martin Pensacola

Dr. Richard Mufson Miami

Dr. Joe Richardson Eustis

Mitzi Rye • fiscal services coordinator mrye@floridadental.org Ext. 7139

Kaitlinn Sendar • fiscal services coordinator ksendar@floridadental.org Ext. 7165

COMMUNICATIONS AND PUBLICATIONS

Jill Runyan • director of publications jrunyan@floridadental.org Ext. 7113

Mike Reino • graphic design coordinator mreino@floridadental.org Ext. 7112

Leighanne Stose • publications coordinator lstose@floridadental.org

FDA FOUNDATION

R. Jai Gillum • director of foundation affairs rjaigillum@floridadental.org

Madelyn Espinal • foundation assistant mespinal@floridadental.org

Deidra Green • foundation coordinator dgreen@floridadental.org

7115

7117

7122

7161

FLORIDA DENTAL CONVENTION AND CONTINUING EDUCATION

Crissy Tallman • vice president: conventions, ce and component strategy ctallman@floridadental.org Ext. 7105

Kelly Andrews • FDC marketing coordinator kandrews@floridadental.org Ext. 7118

Tina Hooks • FDC program coordinator thooks@floridadental.org Ext. 7106

Brooke Martin • FDC marketing specialist bmartin@floridadental.org Ext. 7103

Lisa O’Donnell • FDC program coordinator lodonnell@floridadental.org Ext. 7120

Deirdre Rhodes • FDC exhibits coordinator drhodes@floridadental.org Ext. 7108

GOVERNMENTAL AFFAIRS

Joe Anne Hart • chief legislative officer jahart@floridadental.org Ext. 7205

Brandon Edmonston • lobbyist bedmonston@floridadental.org Ext. 7205

Jamie Graves • lobbyist jgraves@floridadental.org Ext. 7203

INFORMATION SYSTEMS

Larry Darnell • director of strategic initiatives and technology ldarnell@floridadental.org Ext. 7102

Charles Vilardebo • computer support technician cvilardebo@floridadental.org Ext. 7153

MEMBER RELATIONS

Kerry Gómez-Ríos • vice president: membership and component strategy krios@floridadental.org Ext. 7121

Megan Bakan • membership coordinator mbakan@floridadental.org Ext. 7136

Lynn Davis • membership assistant ldavis@floridadental.org Ext. 7100

Cecilia Franco • membership coordinator cfranco@floridadental.org Ext. 7123

Kim Jenkins • membership coordinator kjenkins@floridadental.org Ext. 7110

FDA SERVICES | 545 John Knox Road, Ste. 201 • Tallahassee, FL 32303 • 800.877.7597 or 850.681.2996

Scott Ruthstrom • chief operating officer scott.ruthstrom@fdaservices.com Ext. 7146

Carrie Millar • director of insurance operations carrie.millar@fdaservices.com Ext. 7155

Carol Gaskins • commercial accounts manager carol.gaskins@fdaservices.com Ext. 7159

Tessa Pope • customer service manager tessa.pope@fdaservices.com Ext. 7158

Marcia Dutton • membership services assistant marcia.dutton@fdaservices.com Ext. 7148

Porschie Biggins • insurance advisor porschie.biggins@fdaservices.com Ext. 7193

Maria Brooks • South FL membership commercial account advisor maria.brooks@fdaservices.com Ext. 7144

Danielle Basista • commercial account advisor danielle.basista@fdaservices.com Ext. 7156

Jordyn Berrian • commercial account advisor jordyn.berrian@fdaservices.com Ext. 7163

Kelly Dee • commercial account advisor kelly.dee@fdaservices.com Ext. 7157

Rosa Guaro • Central FL membership commercial account advisor rosa.guaro@floridadental.com Ext. 7149

Jamie Idol • commercial account advisor jamie.idol@fdaservices.com Ext. 7142

Brittany Kinsey • insurance advisor brittany.kinsey@fdaservices.com Ext. 7116

Maddie Lawrence • commercial account advisor maddie.lawrence@fdaservices.com Ext. 7154

Davis Perkins • Atlantic Coast membership commercial account advisor davis.perkins@fdaservices.com Ext. 7145

Liz Rich • commercial account advisor liz.rich@fdaservices.com Ext. 7171

Karina Scoliere • commercial account advisor karina.scoliere@fdaservices.com Ext. 7151

Dan Zottoli, SBCS, DIF, LTCP director of sales • Atlantic Coast 561.791.7744 • cell: 561.601.5363 dan.zottoli@fdaservices.com

Dennis Head, CIC director of sales • Central Florida 877.843.0921 • cell: 407.927.5472 dennis.head@fdaservices.com

Brock Shelton director of sales • North Florida 850.350.7140 brock.shelton@fdaservices.com

Joseph Perretti, SBCS director of sales • South Florida cell: 305.721.9196 joe.perretti@fdaservices.com

Rick D’Angelo, CIC director of sales • West Coast 813.475.6948 • cell: 813.267.2572 rick.dangelo@fdaservices.com

Mike Trout director of sales cell: 904.254.8927 mike.trout@fdaservices.com

More Than Dues: Why Every Member Matters

I don’t imagine it’s any surprise that, as President of the Florida Dental Association (FDA), you get invited to speak at a few things, and sometimes you get invited to be present at a really nice party. Actually, Dr. Chris Bulnes is the reason I got invited to the really nice party with makeup and a special uniform — because I don’t wear costumes. Dr. Kristy Johnson spied me at this party and, because I am her favorite president, raced over, hugged me around the neck, and introduced me to her friend. Her friend shook my hand and said, “I’m not important, I’m just a dentist who pays my dues.”

As much as I enjoy telling the whole state of Florida how important dentists are, I really enjoy reminding members of their importance. It seems like we are always asking members to volunteer for this or that project. Thank you for volunteering when we ask, or at least answering my call and telling me what I’m asking for just isn’t your bliss.

I beg you not to ever think “I’m just a member who pays my dues.” Publius Syrus said, “Do not despise the bottom rungs on the ascent to greatness.” The bottom rungs on the ladder are the most important. You could probably reach just as high without the top rungs. Without members, we would have no purpose

The bottom rungs on the ladder are the most important. You could probably reach just as high without the top rungs.

and no reason for being. We are here to help members succeed, and you decide what success means for you. For some, leadership in the organization would be a burden they could not enjoy. It’s OK to let your light shine in another direction. I want you to be successful outside of leadership. There are so many things I am not good at that you will pick up my slack and we will all be better because of it.

You are a dentist, and that alone makes you family to me. I want my family to be happy and thriving. Go forth and be doctors, make your patients healthy and happy. Make your family proud. Let everybody see that dentists are great people and dentistry is the greatest profession in the world.

FDA President Dr. Paul can be reached at jpaul@bot.floridadental.org

Diagnostic Discussion

BI-MONTHLY COLUMNS

FDA members can earn up to 6 hours of general continuing education (CE) by reading the Diagnostic Discussion column included in the bi-monthly Today’s FDA and taking a quick online quiz.

Discussions and quizzes are available 24 hours a day at the convenience of your home or office

WEBINAR SERIES

This webinar series is your opportunity to stay informed, grow your skills and earn up to 6 CE hours at no cost.

Webinar topics include implant restoration, peri-implant disease, systemic oral health, diagnostic advancements and more!

Learn more at www.floridadental.org/online-ce

Your Voice. Your Leadership.

Interested in Serving? FDA ELECTION TIMELINE

Elections held at Annual House of Delegates 2026

January 22

Nomination Process Begins

April 3

Application Deadline (First Round)

April 27

Initial Candidate Slate Announced

May 27

Final Application Deadline

June 5

Final Candidate Slate Announced

June 27

The following seats on the Florida Dental Association’s Board of Trustees will be open and voted on during the June 2026 House of Delegates meeting:

• Secretary

• President-elect

• Trustees (2 openings)

• Speaker of the House

• FDA Editor

The timeline applies to all open positions.

To learn more or apply, scan this QR code.

FEATURED SPEAKERS

+ Tarun Agarwal, DDS

+ Amber Auger, MPH, RDH

+ Suzie Bergman, DDS

+ Lee Ann Brady, DMD

+ Leonard Hess, DDS

+ Maria Geisinger, DDS, MS

+ David Klingman, DMD

+ Richard “Sully” Sullivan, DDS

+ Kevin Suzuki, DMD, MS

+ Many More!

HOT TOPICS

+ The Dawson Academy’s Two-Day Core 1 Course

+ Burnout Prevention

+ Composite Restorations

+ Crown Lengthening

+ Digital Full Arch Workflow

+ Implant Restoration

+ Oral Pathology

+ Sleep Apnea

+ TMD/TMJ Disorders

+ Much More!

The Florida Dental Association’s Governmental Affairs Office (GAO) would like to invite you to join in on our listening sessions to learn about legislative issues that may have an impact on the dental profession, political issues that could affect the dental industry, and a number of other hot topics that may be of interest to you!

The listening sessions will be scheduled for mid-afternoon, 30-minutes long and will allow you to ask questions of the speakers. These sessions are meant to give you a quick update on issues and topics during your lunch hour, without interrupting the flow of your day.

Legislative Affairs Coordinator jgraves@floridadental.org

ARE YOU A MEMBER OF

FDAPAC Century Club members provide additional financial support of $150 or more for state campaigns. FDAPAC dues and contributions are not deductible for federal income tax purposes. Webinar

• Elected officials (federal, state and local)

• Candidates running for office

• State agency and department heads

• FDA Members

• National dental leaders/experts POTENTIAL GUESTS:

FDAPAC CENTURY CLUB?

A portion of your dues is transferred to the Florida Dental Association Political Action Committee (FDAPAC). FDAPAC provides campaign contributions to dental-friendly candidates.

JOE ANNE HART Chief Legislative Officer jahart@floridadental.org
JAMIE GRAVES
BRANDON EDMONSTON Lobbyist bedmonston@floridadental.org

WORKERS' COMPENSATION

Why I Believe Florida Dentists Should Trust FDAS for Workers’ Compensation

You may not realize this about workers’ compensation in Florida, but the premium is the same no matter which insurance company you choose.

The state sets the rates so there’s no advantage in shopping for a better rate. That’s why when I talk with dentists about their workers’ comp coverage, I focus on something far more important than price — the quality of service and the depth of expertise behind the policy.

At FDA Services, Inc. (FDAS), our entire operation is built around one purpose — serving the insurance needs of Florida dentists. That’s all we do. My team works with dental practices every single day and we understand how dental offices function, what typically happens during a workers’ comp claim and what practices need to be addressed immediately when an issue arises.

You’ll feel that difference the moment you need support. When a certificate of insurance is suddenly required, an audit question arises, or a team member is injured, you get fast turnaround, clear communication and guidance from people who understand dental practices. And because we can bundle your workers’ comp with your malpractice, property, cyber and other coverages, you get the simplicity of one agency that already knows your practice inside and out.

But there’s another reason I strongly encourage dentists to place their workers’ compensation with us: your premium dollars help strengthen the profession. As the for-profit subsidiary of the FDA, FDAS generates non-dues revenue that supports advocacy, member programs and the collective voice of dentistry in Florida.

Hundreds of practices already trust FDAS with their workers’ comp coverage. The price may be the same everywhere, but the experience, the expertise and the impact are not.

If you haven’t considered placing your workers’ comp with us, I’d welcome the chance to show you the difference.

FDAS Chief Operating Officer Scott Ruthstrom can be reached at scott.ruthstrom@fdaservices.com

At FDAS, our entire operation is built around one purpose — serving the

What Do You Mean I Can’t Charge the Patient!?

One of the latest trends in insurance adjudication is the “disallow” of procedure codes. This policy is when an insurance company not only refuses to pay for a procedure but also says the dentist may not bill the patient.

Some examples of procedures where this may occur include direct pulp caps (D3110), indirect pulp caps (D3120), core build-ups (D2950) or periodontal irrigation (D4381). On the explanation of benefits (EOB), you may see the procedure paid at

$0.00, with a code indicating that the dentist may also not bill the patient. This process can be really frustrating for both the dental team and the patient. Patients may mistakenly believe the dentist filed incorrectly or is attempting to charge inappropriately. As a result, practices often feel pressured to write off the procedure to preserve goodwill. In reviewing a number of insurance policy manuals, there is no clear reference to allowing this practice of disallowing payment. In this case, one may bill the patient. However, this is where the patient often becomes confused and dissatisfied. Some manuals do have language that bundles

procedures with other codes, and then disallows the adjunct codes. An example would be: An indirect pulp cap is part of restorative codes, D2391, D2392, D2140, D2150, etc. and is not paid by the insurance if performed on the same day as the restorative procedure. In addition, THE DENTIST MAY NOT BILL THE PATIENT. In this case, while you are bound by a contract, the American Dental Association (ADA)/Florida Dental Association (FDA) is working to clarify the use of the dental code in this manner. While coding policies are constantly evolving, this highlights the need to consistently update your contracts, review policy manuals regularly and understand adjudication practices before signing any insurance agreements. If you feel you are unfairly being subjected to “Disallow” clauses, please feel free to contact the FDA Chief Legal Counsel at cstoutamire@floridadental.org or DentalInsurance@ada.org. While navigating insurance policies can be challenging, the FDA and ADA remain committed to supporting dentists and advocating for fair and transparent coding practices.

Dr. Bert Hughes and Ms. Casey Stoutamire will be presenting the course “Coding, Contracts and Profitability” on Thursday, June 25 in Orlando at the 2026 Florida Dental Convention. Learn more and register at floridadentalconvention.com

FDA Secretary and Vice Chair of the ADA Council on Dental Benefit Programs, Dr. Hughes can be reached at BHughes@bot.floridadental.org

Take it Back:

The Fix When You Feel Your Practice Owns You

Although this applies to every practice owner, this read is especially powerful for our Florida Dental Association (FDA) new practice owners. Here goes. You finally own the practice and the keys are in your hands, and somehow, someway, it really doesn’t feel like the dream you signed up for.

You’re emotionally investing more of yourself, more money, more hours than ever and at the end of the month, there’s barely anything left in the account and if you’re like many we meet, less fuel in your tank.

Despite how amazing social media likes to make all your (wink/nod) insanely successful friends look, you’re not alone. In fact, if you’re a new practice owner in your first one to three years, especially in a preferred provider organization (PPO)-heavy environment, for better or worse, you’re in good company living one of the toughest chapters in your career.

Here’s the good news.

You can turn this around. At IGNITEDDS, we’ve coached hundreds and we’ve firsthand helped them focus on the right things so they/you don’t just survive, you thrive. We

challenge the notion that success comes when you wake up and do the right thing. We know, instead, our twist: when you wake up and do the right things, then yes, success is inevitable.

See if this sounds familiar …

1. Problem #1: Working Harder Than Ever and Earning Less Than You Expected

The Challenge:

Most new owners inherit (or build) PPO-driven practices with limited fee flexibility. We get it; there are best practices for doing it, and for getting out. Back to the PPO world, with significantly lower reimbursements, rising overhead and today’s team costs, the math just doesn’t seem to work.

The Shift:

Stop thinking like an associate producer and start thinking like a CEO owner.

What to Do Now:

• Know Your Break-Even Per Day: Most docs don’t know how much they have to produce daily just to keep the lights on. We call that BAM — or excuse the language, bare ass minimum and you must know

what yours is. Once you do, you can start managing overhead, your schedule and procedure mix and your use of chair time more effectively.

• Audit Your Write-Offs: PPOs don’t just lower fees; they bury you in volume. Knowing exactly how much you’re losing per provider and per plan is essential. This will help you optimise your schedule and systems to counterbalance your losses.

• Move from tooth to tooth to complete care: Early in ownership, most dentists diagnose reactively. They’re worried about upsetting patients who might leave, and sometimes they worry the team will think they’re only in it for the money. Flip that script — start with the promise you want to make to every patient — what level of care would you want for your family? What would your team do differently if the treatment were free and time were of no value? Do that.

2. Problem #2: Team Turnover and Culture Turmoil

The Challenge:

With a lean team (one to two hygienists, one assistant, one administrator), every single person matters. When the team struggles or leaves, everything is disrupted as most new owners weren’t trained to lead teams, yet, developing those leadership skills matters more now than any clinical continuing education (CE) you can take. I want you to walk your clinical talk. Right now, your leadership matters more!

The Shift:

Your team doesn’t need a boss. They need a leader.

What to Do Now:

• Set Crystal-clear Expectations: If you don’t have clear standard operating procedures (SOP) and clinical operating procedures (COP) yet, build them now. Your team needs to know what winning in your practice looks like, and they need you to show them how to achieve it. Clarity isn’t micromanagement; it’s a kindness your team needs and deserves.

• Coach — Don’t Correct: When things go wrong (and they will), resist the urge to blame. See mistakes as opportunities to develop. The more you teach, the more connected your team will be. Lead with questions — celebrate wins.

• Daily Huddles: These 12-minute meetings can transform morale and performance. When you use them right, you align on yesterday’s greatness, shine a light on today’s opportunities and get ahead of tomorrow’s schedule and dollars.

• Go to ignitedds.com/coaching/ if you want a predictable huddle playbook to follow.

Problem #3: You’re Too Busy Being Busy To Lead The Challenge:

When you’re overthinking, over researching and overanalyzing and chair-time stressed, it feels like there’s never time to work on the business, just in it. I know it’s hard, but I need you to trust me on this one — the longer you put off leadership, strategy and building sustainable systems, the longer you stay stuck and the harder it gets to correct later. Ask any seasoned dentist.

The Shift: It’s not about finding the time. It’s about protecting it.

What to Do Now:

• Schedule CEO Time Weekly: Block off two hours a week and not when you’re exhausted after hours. No patients, no hygiene checks, no interruptions. Use this time for vision and planning for team development, financial review and solving whatever your #1 practice problem is today.

• Build a Marketing Flywheel: You don’t need to spend $10k/month on ads. You do need to consistently tell your story, especially on social media, Google reviews and inside your own four walls. Your brand is what people say about you when you’re not in the room. Start shaping it now.

• Start Measuring Treatment Acceptance: What gets measured gets improved. Stop making assumptions and track what you’re presenting to new patients and in hygiene and track what percentage of your patients say yes, schedule and show up. If it’s below 50% for complete care, it’s time to revisit how you and your team present treatment.

practice management

The Ignite Takeaway

You’re not broken. Your system is and unless you build new ones grounded in financial, systems and clinical control, your practice will keep controlling you.

Improve 1% a month in each of the three controls over the course of a year and you will grow 67% in each control. Think about that. In just twelve months, you’re 67% more successful financially, you’re 67% more successful in the systems that drive your practice and you’re 67% more successful in diagnosing and gaining treatment acceptance.

Big change doesn’t come from massive overhauls; it comes from small, intentional improvements made consistently over time — especially in the areas that matter most.

• What will that do for your practice?

• How will it transform your life?

• How much healthier will your patients be?

• And how about that team of yours — how thrilled are they to be on your team?

• Want to take back your practice and life?

That’s what we do at IGNITEDDS Coaching. Go to ignitedds.com/coaching/ to schedule a free session. We think you deserve it!

FDA members get a 10% discount; learn more at floridadental. org/member-center/member-resources/ignitedds. Dr. Rice can be reached at david.rice@ignitedds.com

Best-selling author, executive coach and founder of IgniteDDS, the nation’s largest community for new dentists and students, Dr. David Rice is a dynamic thought leader in the world of dentistry. With a passion for mentorship, leadership and business success, Dr. Rice travels the globe educating and connecting today’s top young dentists to their self-determined future.

As Editor-in-Chief of DentistryIQ and Adjunct Faculty at The Pankey Institute, Dr. Rice is at the forefront of innovation in dentistry, guiding professionals in clinical excellence, business mastery and leadership development.

*The FDA may receive a portion of the fee from purchases made through this advertisement.

FLORIDA DENTAL CHATTER

This Facebook group is designed for dentists to interact with other members, receive the latest updates and information, and engage with FDA leaders and sta across the country. This is the place to be in the know!

Join us at fa ceboo k. com /g ro ups/ flor idadenta lchat ter.

SALES TAX EXEMPTION ALERT

The Florida Dental Association (FDA) has received reports from members indicating that sales tax is being charged on oral hygiene products purchased through various dental suppliers. Pursuant to legislation supported by the FDA, effective July 1, 2023, oral hygiene products — including electric and manual toothbrushes, toothpaste, dental floss, dental picks, oral irrigators and mouthwash — are exempt from sales tax.

The FDA encourages all dentists to review their supplier invoices to ensure that sales tax is being applied correctly. If discrepancies are identified, please contact your supplier and request that the issue be corrected. The FDA will also be asking suppliers to audit their sales tax records and proactively issue appropriate refunds where sales tax may have been inadvertently applied to these purchases.

If you have any questions or encounter issues, please contact Chief Legal Officer Casey Stoutamire at cstoutamire@floridadental.org.

FLORIDA MISSION OF MERCY VOLUNTEER REGISTRATION NOW OPEN

Florida Mission of Mercy (FLA-MOM) is the signature program of the FDA Foundation and the largest charitable dental clinic in the state. Since 2014, FLA-MOM has provided $19.1 million in donated care to more than 17,000 patients. The 2026 FLA-MOM will take place May 15-16 in Jacksonville, and volunteer registration is now open. Sign up at FLAMOM.org. Questions? Contact the FDA Foundation team at foundation@floridadental.org or 850.681.3629.

BUILT BY MEMBERS

CURIOUS ABOUT LEADERSHIP OPPORTUNITIES WITH THE FDA?

The FDA’s annual “Call for Volunteers” is a way for members to raise their hand and let us know they’re interested in getting involved. While openings vary from year to year, we keep these responses on file and use them to invite members to leadership development programs, task forces and local opportunities.

Visit floridadental.org/leadership-central to learn more.

Shaped by Engagement

The FDA House of Delegates Will Consider Bylaws Changes

The Council on Ethics, Bylaws and Judicial Affairs will perform its annual review of the FDA bylaws and propose changes if necessary.

The Next House of Delegates Meeting Will be Held June 26, 2026 at the Gaylord Palms in Orlando.

THE NEW ADA CREDIT CARDS ARE HERE!

The new American Dental Association (ADA®) Rewards World Elite Mastercards® are the only cards exclusively endorsed for the ADA and FDA members!

Choose the card that’s right for you. Earn 3x points on travel purchases and 2x points on gas and groceries with the ADA® Rewards World Elite Mastercard®. Earn 2x points on dental supply purchases with the ADA® Rewards World Elite Business Mastercard®. You’ll always earn 1.5 points on all other purchases with both cards, plus no annual fee and no foreign transaction fees. Redeem your points on travel, gift cards, cash back in the form of a statement credit and more!

Applications for the new ADA® Rewards World Elite Mastercard® are now open. Experience a world of exclusive benefits in travel, entertainment, dining and beyond. Go to adamastercard.com/ to apply today!

Contact ADA Mastercard at 888.293.1595, 888.487.0206 or visit ADA Mastercard at adamastercard.com/

UTILIZE

JUMPSTART PROGRAM IN SOLVING WORKFORCE CHALLENGES

The FDA’s Jumpstart program is an initiative to connect member dentists with pre-dental students who are interested in volunteering or working with dental offices. It’s a creative solution to assist in solving workforce challenges faced by Florida dentists. Jumpstart is a fast pass for students to gain real-world experience, connect with dentists and master skills that will help them stand out in the dental school application process and in the competitive field of dentistry. All of this while providing staffing for offices that may have difficulty hiring the right people. A true win-win!

As a result of the FDA’s efforts, members can access a student directory at floridadental.org/jumpstart. It notes students’ geographic location, interests and roles they could fill. If you have an interest in engaging any of these students, please contact them directly and make suitable arrangements. If you know pre-dental students who may be interested registering, encourage them to visit floridadental.org/jumpstart to sign up and learn more about transforming their enthusiasm into expertise.

Welcome New FDA Members

Learn more by visiting our virtual Member Center at floridadental.org

The following dentists recently joined the Florida Dental Association (FDA). Their memberships allow them to develop a strong network of fellow professionals who understand the day-to-day triumphs and tribulations of practicing dentistry.

Atlantic District

Dental Association

Dr. Paulina Pichardo, Palm City

Dr. Kenisha Brannon, Fort Lauderdale

Dr. Susan Galvis, Sunrise

Central Florida District

Dental Association

Dr. Mennattallah Elsayed, Orlando

Dr. Laura Anderson, Ormond Beach

Dr. Craig Barney, Deland

Dr. Isabela Vaccaro, Daytona Beach

Dr. Shannon Robinson, Port St. Lucie

Dr. Alicia Cardozo, Kissimmee

Dr. Sally Zapata, Orlando

Northeast District

Dental Association

Dr. Vinicius Carvalho, St. Johns

Northwest District

Dental Association

Dr. Isaac Hinckley, Panama City

Dr. Matthew McGhee, Milton

Dr. Shawnah Banks, Santa Rosa Beach

Dr. Julie Vilardo, Santa Rosa Beach

South Florida District

Dental Association

Dr. Bassant Elshabasy, Weston

Dr. Victor Velasquez, Miami

Dr. Williams Millan Hernandez, Doral

West Coast District

Dental Association

Dr. Maria Neira, Oldsmar

Dr. Madison Hobbs, Bonita Springs

Dr. Denis Adegoke, St. Petersburg

Dr. Emily Waikem, Bradenton

Dr. Luiciana Gonzalez Vilorio, Riverview

in memoriam

The FDA honors the memory and passing of the following members:

Arthur Sperling

Delray Beach

Died: 12/16/2025 Age: 85

Robert Apfel

Miami Died: 12/18/2025 Age: 89

Henry Ellison

Boca Raton

Died: 12/23/2025 Age: 111

Irwin Ennis

Coral Gables

Died: 12/26/2025 Age: 93

Warner Wood

Temple Terrace

Died: 1/1/2026 Age: 82

Frederick Schnell

Gainesville

Died: 1/3/2026 Age: 92

John Pell

Miami Died: 1/15/2026 Age: 84

Kathleen O'Connor

Rockledge Died: 2/11/2026 Age: 64

Gustave Fistel

Groveland Died: 3/5/2026

Age: 95

Practice financing1

We

Tribute Balances for Florida Dentists: Over $21 Million

Tribute Awards Paid to Florida Dentists to Date: $2 Million

Number of Florida Dental Tribute Plan Award Recipients: Nearly 800

Average Annual Tribute Balance Increase: 10% of premium

The only FDA-endorsed malpractice provider.

Over 35 years of

Partnership

BENEFITS FOR FDA MEMBERS

Eligible FDA members receive a 5% program discount and an additional claims-free credit of up to 10%. FDA members also receive automatic protection against privacy breach allegations and Medicare reviews, and have access to free web-based and live continuing education that is ADA CERP certified.

board of dentistry

Florida Board of Dentistry Meets in Gainesville

The Florida Board of Dentistry met in Gainesville on Friday, Feb. 13, at 7:30 a.m.

The Florida Dental Association (FDA) was represented by Board of Dentistry (BOD) Liaison Dr. Steve Hochfelder and Chief Legal Officer Casey Stoutamire. Drs. Andy Brown, Dan Crofton, Jim Haddix, Bert Hughes and Samira Meymand were also in attendance, as were some students from the University of Florida (UF) College of Dentistry.

BOD members present included: Dr. Nick White, chair; Ms. Karyn Hill, vice-chair; Drs. Marc Anderson, Brad Cherry, Tom McCawley, Andrew Forrest, Chad Marshall, Jessica Stilley-Mallah, hygiene member Ms.

Angela Johnson and consumer members Mr. Ben Mirza and Ms. Elizabeth Traverso. This was Drs. Anderson, Forrest, Marshall, Stilley-Mallah and Ms. Traverso’s first meeting since being appointed late last year. The Board now has no open positions.

Representatives from the American Board of Dental Examiners (ADEX) attended the meeting at the Board chair’s request. They gave an update on the recent consolidation of previous testing agencies that administered the ADEX exam into the new entity, the American Board of Dental Examiners. By statute, Florida is required to have a seat on the Board of Directors of this entity. After much questioning by various Board

members, the Board ensured Florida representation on the American Board of Dental Examiners so that it would continue to be compliant with state law.

The Board reviewed many licensure applications. Several were applications submitted under the MOBILE endorsement. As a reminder, legislation was passed during the 2024 legislative session that created this licensure pathway. To qualify for licensure, a dentist must:

• Must hold an active, unencumbered license issued by another state, the District of Columbia, or a territory of the United States in a profession with a similar scope of practice, determined by the board or the department, as applicable.

• Must have obtained a passing score on a national licensure examination or hold a national certification recognized by the board.

• The BOD defines this type of examination as either the ADEX exam or a regional board examination such as the NERB. A state-specific examination does not meet this requirement.

• Must have actively practiced the profession for at least three years

The next BOD meeting is scheduled for Friday, May 8, at 7:30 a.m. ET in Jacksonville.

during the four-year period immediately preceding the date of submission of this application.

• Must not have ever been reported to the National Practitioner Data Bank (NPDB), unless the applicant successfully appealed to have the report removed or if the reported adverse action was a result of conduct that would not constitute a violation of any Florida law or rule.

• Must not be the subject of a disciplinary proceeding in a jurisdiction in which he or she holds a license or by the United States Department of Defense for reason related to the practice of the profession for which the applicant is applying.

• Must not have had disciplinary action taken in the five years immediately preceding the date of submission of the application.

• Must meet the financial responsibility requirements of s. 456.048, Florida Statutes, or the applicable practice act, if required for the profession for which you are applying.

• This requirement is for malpractice insurance.

Before reviewing the MOBILE applications, Mr. Ed Tellechea, Board Counsel, reminded the Board of the recent change in legislation that allows the Board to grant a MOBILE license even if the application has information reported to the NPDB (see bullet 4). Thus, the Board questioned each applicant on the circumstances that led to the prior discipline or settlement that was reported to the NPDB. The Board granted licenses to the majority of those applicants.

The Board approved the proposed changes to 64B5-16.0051 which covers restorative functions for dental assistants. Since amalgam is no longer required to be taught, the total hours in the simulated lab were slightly reduced, but hours were added to the time required in the delegating dentists office. This was to increase the instruction and practice on patient management, which cannot be taught in a simulated setting.

The Board also approved proposed changes to the remediation course a hygienist must take if they fail the hygiene exam multiple times. The rule now requires clinical hours on live patients.

As a reminder, these rules are not yet effective as they have to move through the rulemaking process.

Please contact the FDA with any questions on the effective date.

Finally the Board had a discussion on the backlog of inspections for those with anesthesia and sedation permits. The Anesthesia Committee plans to discuss remedies at its next meeting which will be held before the May Board meeting.

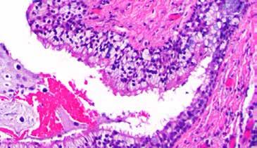
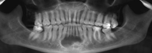
There were two disciplinary cases, two informal hearings and one petition determination of waiver. The cases involved a patient death due to sedation, a dentist that missed and failed to refer a lesion on a patient’s tongue that ultimately was determined to be benign, a patient that ended up with a bur in the sinus cavity, but was not captured on post operative x-rays and failure to practice within the standard of care in relation to a bridge, implants and crowns. Remember, it is much better to be a spectator than a participant in BOD disciplinary cases.

FDA Chief Legal Officer Casey Stoutamire can be reached at cstoutamire@ floridadental.org.

HEALTH CARE PROVIDER CHECKLIST:

Nonopioid alternatives are available for pain treatment, which may include nonopioid medicinal drugs or drug products.

Nonopioid interventional procedures or treatments are available, which may include: acupuncture, chiropractic treatments, massage, physical or occupational therapy or other appropriate therapy.

DISCUSS

ien

t ien t ’s pers

DOCUMENT IN PATIENT’S RECORD

PROVIDE

“Alternatives to Opioids,” an educational information pamphlet created by the Florida Department of Health is available in printed and electronic formats (required, available at bit.ly/2KXvZ2h). A checklist and poster are also available.

SUMMARY:

All health care providers must include nonopioid alternatives for pain and pain management electronically or in printed form in their discussions with patients before providing anesthesia, or prescribing, ordering, dispensing or administering a schedule II controlled substance for the treatment of pain.

THURSDAY, JUNE 25

CORPORATE CLASSROOMS THESE COURSES

PEARLS ON SOCIAL SECURITY, PRACTICE REAL ESTATE AND THE UNIQUE CHALLENGES WOMEN EXPERIENCE THAT MEN DON’T | NC02

MR. CHRIS FONTANA

MR. CASON PARKER

8-11 AM | CE CREDIT: 0

Sponsored by Florida Medical Advisors

UNLOCKING MAXIMUM VALUE: PROVEN STRATEGIES FOR SELLING YOUR DENTAL PRACTICE WITH CONFIDENCE | NC01

MR. ELIJAH DESMOND

8-9 AM | CE CREDIT: 0

Sponsored by Dental Pitch Brokerage

MARKETING IN 2026: WHAT YOU NEED TO KNOW NOW | NC04

DR. ANISSA BROUSSARD

9:15-10:15 AM | CE CREDIT: 0

Sponsored by Dental Pitch Brokerage

THE SELL-READY BLUEPRINT: 20 OPTIMIZATION STRATEGIES TO PRACTICE BEFORE SELLING | NC05

MR. ELIJAH DESMOND

10:30-11:30 AM | CE CREDIT: 0

Sponsored by Dental Pitch Brokerage

FROM PREVENTION TO PRACTICE: ADDRESSING SYSTEMIC HEALTH THROUGH DENTISTRY | C12

DR. SUZANNE EBERT

2-4 PM | CE CREDIT: 2

Sponsored by Florida Combined Life

THE LATEST ADVANCES IN MINI DENTAL IMPLANTS | C20

DR. JARED SHATKIN

2-5 PM | CE CREDIT: 3

Sponsored by Shatkin F.I.R.S.T. LLC

FRIDAY, JUNE 26

ASSOCIATE TO CEO –THE PATH TO PRACTICE OWNERSHIP | NC09

MR. CHAD CLARK

MS. ELIZABETH MARTINEZ

MR. NILESH PATEL

9-11 AM | CE CREDIT: 0

Sponsored by Bank of America Practice Solutions

THE AI REVOLUTION IN DENTAL MARKETING: THINGS YOU MUST KNOW TO IMPROVE YOUR MARKETING AND INCREASE PRACTICE REVENUE | NC10

DR. JOSHUA GINDEA

9 AM-12 PM | CE CREDIT: 0

Sponsored by DoctorsInternet

ARE YOU READY FOR OWNERSHIP OR RETIREMENT?

START PLANNING TODAY | NC13

MR. GREG JONES

MR. CHARLES LORETTO

MR. JASON KAPLAN

2-5 PM | CE CREDIT: 0

Sponsored by Doctor’s Choice Practice Transitions

STRATEGIES FOR PREDICTABLE MINIMALLY INVASIVE SURGICAL THERAPIES UTILIZING BONE CEMENT | C40

DR. JAMES FINE

2-4 PM | CE CREDIT: 2

Sponsored by Augma Biomaterials USA

SATURDAY, JUNE 27

HOW TO MAKE MARKETING WORK FOR YOU | NC15

MR. BRANDON BOSCH

9-11 AM | CE CREDIT: 0 Sponsored by Dr. Marketing

THE SYSTEMIC CONSEQUENCES OF ORAL DISEASE: A WHOLEHEALTH MODEL FOR RISKBASED, PERSONALIZED CARE FOR DENTAL HEALTH PROFESSIONALS | C52

MS. MACHELL HUDSON-HOOVER

9-11 AM | CE CREDIT: 2

Sponsored by BioGaia Probiotics

UTILIZING TECHNOLOGY, ADVANCEMENTS AND INNOVATIONS TO MAKE IMPLANT DENTISTRY EASIER AND MORE PREDICTABLE | C64

DR. ANKUR GUPTA

2-5 PM | CE CREDIT: 3

Sponsored by Impladent LTD

UNLOCKING MAXIMUM VALUE: PROVEN STRATEGIES FOR SELLING YOUR DENTAL PRACTICE WITH CONFIDENCE (REPEAT) | NC16

MR. ELIJAH DESMOND

2-3:30 PM | CE CREDIT: 0

Sponsored by Dental Pitch Brokerage

THE SELL-READY BLUEPRINT: 20 OPTIMIZATION STRATEGIES TO PRACTICE BEFORE SELLING (REPEAT) | NC18

MR. ELIJAH DESMOND

3:45-5 PM | CE CREDIT: 0

Sponsored by Dental Pitch Brokerage

Now Effective New HIPAA Rules Address

Substance Use Disorder Records

ADA provided an updated sample notice ahead of the Feb. 16 deadline.

UPDATED FOR ADA MEMBERS Jan. 22: Dentists should be aware that the American Dental Association (ADA) has revised its Sample Notice of Privacy Practices (bit.ly/40erEh7), which includes information about the confidentiality of patient information from a Part 2 substance abuse treatment program. The resource is available in English and in Spanish. It is member-only and requires ADA member login credentials to access the PDF file.

The ADA created a Dental Practice Checklist (bit.ly/4auThaF) that includes what dental practices needed to do before Feb. 16.

The ADA updated its sample Health Insurance Portability and Accountability Act, or HIPAA, Notice of Privacy Practices to reflect new federal requirements regarding the use and disclosure of certain substance use disorder treatment information. As of Feb. 16, HIPAA-covered practices must include information in their Notice of Privacy Practices describing how substance use disorder records

protected under title 42 of the Code of Federal Regulations Part 2 may be used and disclosed. The new federal requirements (bit.ly/4qD4Qmd) are the result of a final rule modifying the Part 2 (ecfr.gov/current/title-42) rules published Feb. 16, 2024.

The updated sample Notice of Privacy Practices is intended to help dental practices meet their legal obligations while clearly communicating patients’ privacy rights.

Under federal law, the Part 2 rules provide heightened confidentiality protections for records related to federally assisted substance use disorder diagnosis, treatment, or referral. Dental practices may receive these records as part of a patient’s health history or through coordination of care with other providers. The updated Notice of Privacy Practices explains how these records may be handled when they are received by a dental practice with consent from an individual in a Part 2 program, or under one of the exceptions to the consent requirements.

The HIPAA Notice of Privacy Practices is not required to include information concerning reproductive health. Provisions of the HIPAA Privacy Rule to Support Reproductive Health Care Privacy requiring such modifications was vacated by a decision of the U.S. District Court for the Northern District of Texas on June 18, 2025.

The sample Notice of Privacy Practices makes clear that certain types of information are subject to special protections.

As of Feb. 16, HIPAA-covered practices must include information in their Notice of Privacy Practices describing how substance use disorder records protected under title 42 of the Code of Federal Regulations Part 2 may be used and disclosed.

“Some information, such as HIV-related information, genetic information, alcohol and/or substance use disorder treatment records, and mental health records may be entitled to special confidentiality protections under applicable state or federal law. We will abide by these special protections as they pertain to applicable cases involving these types of records,” according to the sample notice.

A new section of the sample Notice of Privacy Practices specifically addresses substance use disorder treatment information governed by Part 2. It explains the difference between records received through a general consent from the patient and records received under a specific consent. The sample notice also states that Part 2 records generally may not be used against a patient in legal proceedings without proper authorization or a qualifying court order.

“In no event will we use or disclose your Part 2 Program record, or testimony that describes the information contained in your Part 2 Program record, in any civil, criminal, administrative, or legislative proceedings by any Federal, State, or local authority, against you, unless authorized by your consent or the order of

a court after it provides you notice of the court order,” the sample notice reads.

What Does This Mean for Dentists?

To comply with the new requirement by the Feb. 16 deadline, dental practices should update the Notice of Privacy Practices by including the new language related to substance use disorder information disclosure language. They should provide the revised Notice of Privacy Practices to new patients at intake, have it available at the dental office for individuals to request, and post the information in a prominent location in the dental office, as well as on the dental office website if it has one, as required by HIPAA. Electronic distribution is acceptable if patients have agreed to receive notices electronically.

The requirement to update Notice of Privacy Practices does not change other longstanding HIPAA requirements such as the provider’s duty to safeguard protected health information, obtain patient authorization for certain uses and disclosures, and notify affected individuals following a breach of unsecured protected health information.

“Dental practices should assess whether they maintain or receive records associated with substance use disorder treatment programs, or Part 2 programs, and update applicable policies, consent forms, and Notices of Privacy Practices,” said Jennifer Thompson, D.D.S., chair of the ADA’s Council on Dental Practice. “It is also important to train clinical and administrative team members to understand the rules governing patient records under HIPAA and related confidentiality rules.”

The updated ADA sample Notice of Privacy Practices replaces the sample Notice of Privacy Practices previously included in the ADA Practical Guide to HIPAA Compliance, the ADA Practical Guide to HIPAA Training and the Personalized Notice of Privacy Practices Brochure. E-book versions of these publications have already been updated.

Members who wish to order updated printed copies of the brochure may do so through the ADA store at bit. ly/3MnOLTo. For more information about the HIPAA Privacy Rule for professionals, visit bit.ly/4rrUPcw. For more information about the final rule, check out the online fact sheet at bit.ly/3McqNdM.

Article first appeared in the ADA News by Olivia Anderson.

FDC2026

DIGITAL FULL ARCH WORKFLOW

DIGITAL DESIGN EXPERIENCE

FRIDAY, JUNE 26-SATURDAY, JUNE 27

9 AM-5 PM, BOTH DAYS | CE CREDITS: 14

AUDIENCE: DENTISTS

In the fast-evolving world of dentistry, staying ahead means consistently upgrading your skills. With the rise of implant dentistry, mastering full-arch implant surgery is no longer optional — it’s essential. If you’re a dentist who has placed implants before, you know all about the complexities of the field. Yet treating full-arch cases can still feel like a maze. Planning the treatment for these cases seems overwhelming because each step has its own challenges. Even experienced professionals find full-arch implant dentistry intimidating! We know it’s frustrating to turn away or refer a patient, especially when you might have changed their life for the better. If you want to make implants a bigger part of your practice, this two-day hands-on mini-residency is for you.

Dr. Tarun Agarwal earned his dental degree from the University of MissouriKansas City School of Dentistry. He is the founder of 3D Dentists and maintains a private practice in Raleigh, NC.

Dr. Richard “Sully” Sullivan earned his dental degree from the University of Tennessee College of Dentistry. He is an instructor at 3D Dentists and maintains a private practice in Nashville, TN.

Q&A With FDC2026 Scientific Chair

Dr. Portnof

Q. The Florida Dental Conventions (FDC) theme is “Plug In. Amplify. Rock Your Practice.” What does that mean to you as Scientific Program Chair, and how does it come to life in the 2026 education lineup?

A. “Plug In. Amplify. Rock Your Practice.” means education that’s energizing, practical and immediately impactful. As Scientific Program Chair, my focus was on creating a lineup that helps dentists plug into cutting-edge clinical knowledge and emerging trends, then amplify that learning into real-world improvements they can use right away.

The 2026 education program features 90-plus dynamic speakers and 150-plus courses, including 35-plus hands-on workshops, designed to spark ideas and drive action. The goal is for attendees to leave feeling recharged, confident and ready to take their practice to the next level.

Q. If FDC2026 were a playlist, what kinds of “tracks” would attendees hear? How did you balance practice essentials with cutting-edge topics?

A. If FDC2026 were a playlist, it would be a mix of timeless hits and bold new tracks. Attendees will hear foundational “classics” that reinforce core clinical skills and practice essentials, as well as new trends and chart-topping innovations in technology, materials and patient care.

Balancing those elements was intentional. We made sure the essentials are solid and practical — content dental professionals rely on every day — while layering in forward-thinking topics that reflect where dentistry is headed. The result is a scientific program that feels both familiar and fresh, giving attendees confidence in what they know and excitement about what’s next.

Q. Dentistry is evolving fast. How does this year’s program help attendees stay ahead of the curve and truly amplify their skills?

A. Dentistry is evolving quickly, and this year’s program is designed to help attendees stay ahead of the curve — not catch up later. The 2026 lineup focuses on clinically relevant education, emerging technologies and evidence-based techniques that can be applied immediately. Educational highlights include The Dawson Academy’s Core 1, composite restorations, full-arch implant

reconstruction, crown lengthening, oral pathology, TMD/TMJ disorders, salivary testing, dental trauma in pediatric patients, implant restorations and more.

FDC2026 also features rock-star keynote speakers designed to energize dental teams. Whether learning about skills to improve practice or focusing on individual or team wellness, these high-profile keynote sessions offer a front-row seat to personal growth!

Q. What makes FDC different from other meetings, and why should someone choose FDC2026 as the place to invest their time, energy, and continuing education (CE) hours?

A.FDC stands out because it combines top-tier education with real-world relevance and an unmatched attendee experience — It’s Not Your Average Dental Meeting™. FDC2026 delivers high-quality CE taught by nationally recognized speakers, including Ms. Amber Auger, Drs. Lee Ann Brady, Leonard Hess, Brandon Gordon, Kevin Suzuki and more, who are focused on providing top-tier education.

FDC offers a unique mix of networking, innovation and community through the many connection opportunities outside the classroom, all in an environment that’s engaging, accessible and energizing. When dentists and their team invest their time and CE hours at FDC2026, they’re not just attending another

meeting; they’re investing in education and camaraderie-building that delivers value, inspiration and momentum they can carry back to their practices.

Q. From powerhouse speakers to hands-on workshops, what are a few standout moments in this year’s program that you think will really “rock” attendees?

A.FDC2026 is like a festival lineup for dentists. It’s the Bonnaroo of dentistry. You’ve got powerhouse keynote acts dropping motivational hits, hands-on workshops letting you jam with cutting-edge tech and lecture sessions that turn clinical skills and practice growth into chart-topping tracks. It is education with the volume turned all the way up!

Highlights? FDC2026 features the Dawson Academy’s Core 1 two-day course presented by Dr. Leonard Hess. This two-day course lays the foundation for predictable, longterm restorative success by teaching core principles of occlusal stability, patient communication and modern treatment planning, blending function, aesthetics and business strategies through both analog and digital workflows. As a bonus, you save 20% on course tuition by taking Core 1 at FDC2026.

Two mini residencies will be offered. MR01, presented by Dr. Dar Radfar, will focus on sleep dentistry, combining cutting-edge clinical training in dental sleep medicine with holistic approaches to pain management,

t

When an attendee “plugs in” at FDC2026, they will leave feeling energized, inspired and equipped with practical tools they can implement immediately.

Osceola C 8-11 PM

DUELING PIANOS

EVERYONE IS INVITED AND TICKETS ARE FREE. FEATURING THE BIGGEST HITS AND THE CROWD’S MOST REQUESTED SONGS. DUELING PIANOS WILL KEEP THE WHOLE CROWD ROCKIN’ AND HOWLIN’ ALONG AND THE ENERGY PUMPING ALL NIGHT LONG.

Name badges are required for attendees over 8 years of age. THURS. 06.25

FDC2026 Q & A

practice systems and personal development. MR02, taught by Drs. Sully Sullivan and Tarun Agarwal, will provide hands-on training in mastering full-arch implant surgery. These two-day mini-residencies offer hands-on learning in small groups to support indepth learning.

Q. Great music brings people together. How does FDC2026 create meaningful opportunities for connection — whether that’s with peers, mentors, speakers or industry partners?

A.

Just like a great concert brings fans together, FDC2026 is built to connect dental professionals with peers, mentors, speakers and industry leaders. Alumni receptions, social events, a bustling Exhibit Hall and educational opportunities create the space for real conversations, idea-sharing, peer-to-peer learning and collaboration.

Whether it’s swapping tips after a keynote, exploring new technology on the show floor, or making lasting connections between sessions, FDC2026 turns learning into a VIP experience where everyone leaves

inspired and more connected than when they arrived.

Q. FDC has a reputation for offering something for everyone. How does this year’s program support the entire dental team — and why bring your entire “band” to FDC2026?

A. FDC2026 is designed for the full dental team. Students and new dentists can build strong clinical and career foundations with courses focused on burnout prevention, treatment planning, evidence-based dentistry and paths to practice ownership. Experienced clinicians can refine advanced techniques and explore emerging technologies such as 3D printing, AI integration, oral surgery techniques and digital workflows.

Hygienists, assistants and administrative professionals will enjoy targeted education in patient care, efficiency, compliance and practice growth with courses on dental coding and billing, oral pathology, in-

fection control, marketing strategies, oral systemic health and more.

Q. If an attendee walks away from FDC2026 having truly “plugged in” to the experience, what do you hope they’ll feel, know or do differently when they return to their practice?

A. When an attendee “plugs in” at FDC2026, they will leave feeling energized, inspired and equipped with practical tools they can implement immediately. They’ll walk away with new ideas, sharper skills, stronger connections and a renewed confidence to elevate every aspect of their practice — clinically, operationally, and as a team. Simply put, they’ll return ready to turn up the volume on patient care, teamwork and growth.

FDC2026 will be held June 25-27 at the Gaylord Palms in Orlando. For more information and to register, please visit floridadentalconvention.com

Dr. Jason Portnof is the FDC2026 Scientific Program Chair and can be reached at jeportnof@gmail.com

THE DAWSONACADEMY ISBACKATFDC2026!

DAWSON CORE 1: OCCLUSION & SMILE DESIGN, A TWO-DAY COURSE (C28)

FRIDAY, JUNE 26-SATURDAY, JUNE 27

8 AM-5 PM, BOTH DAYS | CE CREDITS: 16

AUDIENCE: DENTISTS & LABORATORY TECHNICIANS

The “Core One” course is the first course of The Dawson Academy’s Core Curriculum. During the two days of this course, you’ll learn the requirements for occlusal stability to improve your practice – from examination and records to treatment planning to practice management. Added material in this occlusion-led course includes patient communication, case acceptance, converting to a fee-for-service model and more. These timeless principles remain the foundation of quality dentistry. True long-term success, otherwise known as predictability, in restorative care, is the merger of aesthetic, functional and phonetic parameters.

The foundation of The Dawson Academy is rooted in a complete understanding of how the temporomandibular joints, muscles, proprioceptive input, lower anterior teeth, upper anterior teeth, lower posterior teeth, and upper posterior teeth are designed to function in harmony. Examples will be presented for both analog and digital workflows, with bonus content catered to implementation and business management. Attendees will understand how integrity and fulfillment are intertwined to create the most efficient and predictable outcomes. This two-day lecture will provide insight and understanding that will change not only how you practice and manage but also your enjoyment of practice. A one-hour lunch break and lunch voucher will be provided for each day of the course.

DR. LEONARD HESS earned his dental degree from Northwestern University Dental School. He is the clinical director at The Dawson Academy and a member of the Inside Dentistry editorial board. Dr. Hess maintains a private practice in Monroe, NC.

AwArds Luncheon 2026

Dental Student Award

Ms. Brooke Cary

Dental Team Member Award

Ms. Nycole Cooper

Public Service Awards

Mrs. Jerilyn Bird

Dr. Kerwin Scott

New Dental Leader Award

Dr. Latoya Joseph

Leadership Awards

Dr. Erika King

Dr. Elias Morón

Special Recognition Award

Dr. Karen Glerum

Helping Members Succeed Team Impact Award

Mrs. Deirdre Rhodes

President’s Award

Dr. John H. Paul

Dentist of the Year

Dr. Jeff Ottley

J. Leon Schwartz

Lifetime Service Award

Dr. Rudy Liddell

JOIN IN THE RECOGNITION OF YOUR COLLEAGUES

Friday, June 26 | 11:30 AM – 1:00 PM

Gaylord Palms Resort and Convention Center, Orlando, FL

Individual tickets are $55 or reserve a table of 10 for $550.

Purchase tickets in your FDC registration or contact Lianne Bell at lbell@floridadental.org or (850) 681-3629 by June 5.

Sponsored by

2026 AwArd winners

DENTAL STUDENT AWARD

Ms. Brooke Cary

Ms. Brooke Cary is from Fort Myers and is earning her Doctor of Dental Medicine degree at the University of Florida College of Dentistry (UFCD). During dental school, she concurrently served as a medical officer in the Florida Army National Guard while holding multiple leadership roles at UFCD. At the UF, Brooke served as president of the UF American Student Dental Association (ASDA), leading advocacy initiatives, community outreach programs and professional development events while overseeing chapter operations and budget management. She also served as ASDA District 5 Director of Communications, representing UF across eight dental schools and facilitating collaboration and information sharing at the district level.

Ms. Cary was a hand-skills tutor and teaching assistant for three years, instructing pre-clinical students in operative dentistry, fixed prosthodontics and removable prosthodontics. She consistently volunteers at after-school and weekend dental clinics, providing free emergency and operative dental care to underserved residents in Alachua and Marion Counties. Following graduation, Ms.

Cary will continue her advanced clinical training at the UF’s Advanced Education in General Dentistry (AEGD) residency program in St. Petersburg.

DENTAL TEAM MEMBER AWARD

Ms. Nycole Cooper

Ms. Nycole Cooper began her career as a sterilization technician, which gave her a strong foundation in clinical protocols, patient safety and teamwork. She worked her way through various positions, gaining a well-rounded understanding of how an orthodontic practice operates. She has managed a small one-doctor/ one-location clinic and a large three-doctor/three-location practice, overseeing daily operations, staff coordination, scheduling, marketing, human resources and implementing protocols to improve administrative and clinical efficiency, compliance, etc. Having hands-on experience across multiple roles enables her to support both the clinical and administrative teams while maintaining workflow organization and consistent standards of care. What started as an after-school job in high school, working for Dr. Raymond Sugiyama, has grown into a career. She spent 16 years with Dr. Don Wilson as a clinical director; she was his only employee as he built his practice

from the ground up. She began with Caudill & McNeight Orthodontics in 2018 as a part-time treatment coordinator and moved into the operations manager role. With Ms. Cooper’s guidance, the practice has grown by 6.5% over the past year. She has taken the practice completely digital (forms, contracts and payment processing) and seamlessly integrated a third doctor (Dr. Kalynn Naglieri). She works alongside three incredible doctors and 24 of the best team members. She built a culture that her team wants to be part of, creating an environment conducive to top-notch patient care. Her motto is inspired by the movie, “Field of Dreams…”If you build it, they will come”.

NEW DENTAL LEADER AWARD

Dr. Latoya Joseph

Dr. Latoya Joseph, MPH, is a partner dentist at Sebastian Dental Spa, where she practices comprehensive general dentistry with a strong commitment to patient-centered care. A 2018 graduate of Nova Southeastern University, Dr. Joseph earned her Doctor of Dental Medicine and Master of Public Health degrees, reflecting her passion for combining clinical excellence with community impact. Dr. Joseph has demonstrated outstanding leadership within organized dentistry. She has served on the Treasure Coast Dental Association Board, including as Immediate Past President, and currently serves on the Florida Dental Association Services (FDAS) Board of Directors. She is also an active FDA Delegate, advocating for the profession and supporting the future of dentistry in Florida. Her dedication to leadership and service led to her recognition as a recipient of the FDA New Dental Leader Award.

Committed to giving back, Dr. Joseph participates annually in pro bono dental care through Donated Dental Services, has volunteered with Florida Mission of Mercy (FLA-MOM), and works with Brevard Health Alliance in addition to her private practice.

Outside of dentistry, Dr. Joseph is a proud wife and mother of three children — Noah (7), Cali (5) and Layla (3). While much of her free time is spent supporting her children’s activities, she enjoys traveling with her husband, Steve, spending quality time with their parents and siblings, and returning to their hometown of New York City whenever possible.

PUBLIC SERVICE AWARDS

Mrs. Jerilyn Bird

Mrs. Jerilyn Bird has dedicated more than four decades to health care, dentistry and community service. She began her professional career as a medical technologist at St. Mary’s Hospital in Grand Rapids, Michigan, after earning her Bachelor of Science in Medical Technology from Grand Valley State University. She later spent six years in instrument sales with Technicon before transitioning into dentistry, where she served as practice manager for Drs. Bird and Johnson Oral Surgery from 1989 to 2023. A committed leader and volunteer, Mrs. Bird has held numerous leadership roles, including president of the Alliance of the American Dental Association (ADA) (2003–2004) and president of the Alliance of the FDA, a role she continues to serve today. She is also the director of the foundation for dental health education and an active member of the Rotary Club of Cocoa, where she currently serves as secretary. Her longstanding commitment to service includes leadership within the Junior League of Central & North Brevard and regular volunteer work with FLA-MOM, helping provide millions of dollars in free dental care to Floridians throughout the state. Above all, she is a proud mother to Kevin and Stephanie, a devoted grandmother to Carter Bird, and a valued friend, sister, wife and daughter. Thanks to my close and loving family, the best work team at Bird & Johnson Oral Surgery, and the incredible and supportive team at the FDA.

PUBLIC SERVICE AWARDS

Dr. Kerwin scott

Dr. Kerwin Scott is a distinguished dental professional and Marine veteran with a remarkable journey in dentistry. After graduating Magna Cum Laude in Biology from Lane College, he pursued a Master of Health Science at Meharry Medical College, which paved the way for his acceptance into the Doctor of Dental Surgery program. At Meharry Medical College, Dr. Scott demonstrated excellence both academically and in leadership roles, actively participating in dental organizations and clinics. After graduating from Meharry Medical College, Dr. Scott completed a three-year periodontics residency at UF, one of the premier programs in the country. Beyond the operatory, he is deeply committed to mentorship and community engagement. Dr. Scott co-founded the Education Equalizer Foundation, a nonprofit organization that creates pathways for college students to explore careers in dentistry. Through partnerships with the UF, University of Central Florida and Valencia College, students shadow at Clermont Periodontics and Implant Center, gaining exposure to periodontics and implant dentistry. His dedication to periodontology reflects his commitment to balancing a fulfilling career with family life, aiming to provide exceptional care while nurturing his personal relationships.

LEADERSHIP AWARDS

Dr. Erika King

Dr. Erika King is a Diplomate of the American Board of Pediatric Dentistry. She earned her Bachelor of Science in Biology from Spelman College in Atlanta, GA. After graduation, she began her professional career as a pharmaceutical representative for Pfizer, Inc. before pursuing her passion for dentistry. Dr. King received her Doctor of Dental Surgery degree from Meharry Medical College School of Dentistry in Nashville, TN, and

completed a general practice residency at Harlem Hospital Center in New York, NY. She later served the Pinellas County community in the Tampa Bay area as a general dentist at a federally qualified health center. Committed to advancing her skills in children’s oral health, she returned to New York to complete her pediatric dentistry residency at Harlem Hospital Center. Since finishing her pediatric training, Dr. King has practiced in a private practice setting. She is the immediate past president of the Florida Academy of Pediatric Dentistry, vice president of the Treasure Coast Dental Association (TCDA), and was co-chair of pediatric dentistry for the 2025 FLA-MOM state service project. She is committed to organized dentistry and to delivering continuing education rooted in real-world experience. Dr. King has a strong family legacy in dentistry. She is a fourth-generation Meharrian and dentist. Outside of her professional life, Dr. King enjoys community events, cooking, traveling and fitness. A true Florida enthusiast, she loves visiting the Walt Disney World Theme Parks and relaxing on the state’s beautiful beaches.

SPECIAL RECOGNITION AWARD

Dr. Karen Glerum

Dr. Karen Glerum has been an active member of the FDA and the ACDDA since the 1990s. She believes that all dentists benefit from membership in their local and national organizations. Dr. Glerum enjoys interacting with other members at any meeting or event she attends. Some of her favorite events are the Florida Dental Convention (FDC), FLA-MOM, and the ADA meeting. Dr. Glerum is also the proud mother of two grown daughters, Alexandra (Ally) and Natalie (Nat). Ally works in the music technology business in Los Angeles, and Natalie is a nurse. Natalie and her husband Tom are both travel nurses and now work in the Appalachian Mountains near Roanoke, Virginia. Dr. Glerum is honored and appreciative that the FDA is awarding her this Special Recognition Award. She looks forward to many more years of service to organized dentistry and, in particular, to the FDA.

HELPING MEMBERS SUCCEED

TEAM IMPACT AWARD

Mrs. Deirdre Rhodes

Mrs. Deirdre Rhodes has been a valued member of the FDA since 2018, serving as the FDC Exhibit, Sponsorship and Advertising Coordinator. In this role, she plays a key part in the continued growth and success of FDC, consistently selling out the exhibit hall and driving increased sponsorship revenue year after year. As the FDA has grown, so too has its commitment to vendors throughout the state, and Deirdre has been instrumental in supporting that mission. In addition to her work with FDC, she manages exhibits for the annual meetings of the Central Florida District Dental Association and the Northwest District Dental Association. She also oversees advertising opportunities across FDA publications, including Today’s FDA, News Bites and Beyond the Bite.

Known for her dedication and team-first mindset, Deirdre is a true behind-the-scenes force — always dependable, always supportive and always willing to step in wherever needed. She is a Certified Exhibit Manager with more than 25 years of experience in the exhibit industry, bringing deep expertise and professionalism to everything she does.

PRESIDENT’S AWARD

Dr. John Paul

Known to most simply as “JP,” Dr. John Paul is a proud son of Imperial Polk County — “the ridge,” where oranges, cattle and wide-open Florida landscapes shape the community he calls home. After studying at Emory University and earning his dental degree from the Medical University of South Carolina, JP returned to Lakeland, where he has been caring for patients as a general dentist since 1989.

A natural servant leader (and someone who has a hard time saying no when asked to help), JP has dedicated countless hours to organized dentistry. He has served the ADA on the Council on Communications and in the House of Delegates, led at the local and state levels, and spent nine years as Editor of the FDA before entering the leadership path that led to his presidency.

Beyond dentistry, JP is deeply proud of his work with Polk County’s Flight to Honor, escorting veterans to Washington, D.C., to visit the memorials built in their honor. He is supported in all he does by his wife, Sharon, a licensed mental health counselor; their two daughters, Harper and Brogan and a “pet bison,” better known as the family’s chocolate lab.

DENTIST OF THE YEAR

Dr. Jeff Ottley

Dr. Jeff Ottley’s career reflects more than two decades of dedicated service to the profession of dentistry and to the people of Florida. Throughout his leadership within the FDA, he has worked to strengthen the dental community by promoting high professional standards, expanding access to care and mentoring the next generation of dentists.

During his tenure as FDA President, Dr. Ottley led with steady resolve in one of the most visible public health debates facing our state — community water fluoridation. As legislative efforts moved to remove fluoridation, he served as a clear and consistent voice for science-based dentistry. He participated in countless media interviews and public discussions, articulating the FDA’s position, explaining the research supporting fluoridation and emphasizing its proven benefits in preventing tooth decay and improving overall oral health, particularly for Florida’s most vulnerable communities. His principled advot

INTEGRATIVE SLEEP DENTISTRY FOR

THURSDAY, JUNE

This dynamic two-day mini-residency is designed for dental professionals seeking to expand their clinical offerings, enhance patient outcomes and increase their own personal and professional fulfillment. The course combines cutting-edge clinical training in dental sleep medicine with holistic approaches to pain management, practice systems and personal development.

Participants will explore the vital role of sleep in overall health, learn how to screen and manage patients with sleep-disordered breathing and implement systems for successful integration of dental sleep treatments, including home sleep testing and medical billing. The course will also introduce alternative treatment modalities for sleep apnea, temporomandibular disorders and pain — including low-level laser therapy, botulinum toxins and natural supplements — while emphasizing the importance of mindset and personal growth in achieving clinical and personal success.

Interactive, hands-on components such as peer screening, laser therapy demonstrations, sleep test analysis and mindset exercises will ensure you leave with practical tools to apply in your practices and daily life immediately.

(MR01)

DR. DAR RADFAR earned his dental degree from the University of South Carolina School of Dentistry. He maintains a private practice in Thousand Oaks, CA.

awards

cacy demonstrated courage, integrity and an unwavering commitment to evidence-based care. His leadership brought the profession together and elevated the public conversation around oral health.

Known for his collaborative spirit and approachable style, Dr. Ottley leads by example, always focused on what best serves patients and the profession. Married to his wife for 27 years and a proud father to three grown children, he credits his family as the foundation of his success.

J. LEON SCHWARTZ LIFETIME SERVICE AWARD

Dr. Rudy Liddell

Dr. Rudy Liddell was born and raised in Pennsylvania before his family relocated to Florida in 1974. He swam distance freestyle in high school and was recruited to attend West Point and swim there. A shoulder injury sidelined his swimming career, but

it was at West Point that he befriended the base dentist and that’s where the journey began. He left the Academy to finish an engineering degree at the University of South Florida. He was accepted into dental school at UF, where he attended from 1979 to 1982. After several associate positions, he opened his solo practice in Brandon, in October 1986. After practicing for five years by himself, he merged his practice with a small group practice, where he would spend the next 30 years of his career. Working with a group allowed him to volunteer for leadership positions at the local level, which led to opportunities within the component. Eventually, he began serving in several positions at the state level, becoming an officer at the FDA in 2016. His year as president was met with many challenges, mainly the pandemic. In one month’s time, the board voted to follow ADA guidance and close dental offices for non-emergent care. Dr. Liddell was appointed co-chair of the ADA’s COVID-19 Recovery Task Group and served on the governor’s Reopen Florida Task Force. From 2020 to 2024, he had the distinct honor of serving on the ADA’s BOT, the pinnacle of his leadership career.

Friday, September 18, 2026

Fort Lauderdale, FL www.fdawind.com

Welcome Back To Our Newly Upgraded Gaylord Palms

Experience the Florida Dental Convention (FDC) at the Gaylord Palms Resort & Convention Center, where our newly renovated resort provides the ultimate in comfort, convenience, luxury and unparalleled guest service across our 65-acre property. With $300+ million recently invested into the property, your convention experience will be unmatched.

Our lobby has been elegantly redesigned to make your check-in even more seamless and provide views of the lush 4.5-acre, tropical atrium. Our rooms and suites also received grand makeovers and feature new furnishings and sun-kissed hues that pay homage to the Sunshine State.

Our signature restaurant, Old Hickory Steakhouse, received a major renovation that includes an expanded bar and lounge area, open show kitchen and a luxurious private dining room for groups.

Make your hotel reservation today to experience the revitalized Gaylord Palms Resort & Convention Center, where unmatched luxury will take your FDC experience to the next level.

FDC offers a discounted room rate of $221 per night, including free self-parking.

Visit www.hotel.floridadentalconvention.com or call 877.491.0442 to make your reservation within the discounted room block.

VISIT THE FDC EXHIBIT HALL

Connect with 350+ Exhibitors at FDC2026 with a FREE Exhibit Hall Only Pass!

Register as “Exhibit Hall Only” to take advantage of this offer.*

» BUILD RELATIONSHIPS with your current suppliers and new vendors.

» NETWORK with colleagues and vendors at the Welcome Cocktail Reception in the Exhibit Hall on Thursday, June 25 from 4-6 PM.

» DISCOVER new products, services and technologies.

» MAXIMIZE your time with industry-leading exhibitors.

» SHOW YOUR STYLE with swag from the FDA Merch Booth in the Exhibit Hall.

View the current list of exhibitors at exhibithall.floridadentalconvention.com.

Full-Arch Dentistry in the Digital Era: A

Practical Pathway for the Modern General Dentist

For many general dentists, full-arch implant dentistry, often referred to as All-on-X, has long felt like a clinical leap reserved for specialists or high-volume surgical practices.

The perceived barriers are familiar: increased surgical complexity, restorative risk and the fear that one misstep could cascade into a major complication. Yet in reality, most clinicians already possess the clinical judgment and implant fundamentals needed to begin offering full-arch care. What has changed is not the biology or the principles of

prosthodontics, but the systems used to execute them.

Digital workflows have quietly reshaped how full-arch cases are planned, communicated and delivered. When properly implemented, they reduce variability, improve predictability and allow clinicians to approach these cases methodically rather than intuitively. For dentists who are comfortable placing single implants, the transition to

Dr. Richard Sullivan
Dr. Tarun Agarwal

full-arch treatment is increasingly a matter of workflow design rather than surgical bravado.

Full-arch dentistry matters because it addresses one of the most impactful problems in oral health: the functional and emotional toll of terminal dentition. Patients presenting with advanced wear, failing restorations or compromised periodontal support are often poor candidates for piecemeal treatment. Full-arch solutions allow clinicians to replace compromised dentitions comprehensively, restoring function, esthetics and confidence in a way that isolated procedures cannot.

Historically, the challenge was execution. Analog records, conventional impressions and freehand surgical approaches left little margin for error. Each phase depended heavily on individual experience and intraoperative decision-making. Digital dentistry has shifted that burden upstream. Today, comprehensive records, including digital impressions, CBCT imaging and standardized photography, allow clinicians to visualize the final prosthetic outcome before treatment begins. This prosthetically driven approach reframes planning around tooth position, facial support and restorative space rather than simply available bone.

By beginning with the end in mind, clinicians can evaluate vertical dimension, prosthetic space and implant

position simultaneously. Decisions regarding bone reduction, implant angulation and abutment selection become deliberate rather than reactive. This planning philosophy represents one of the most significant conceptual shifts for dentists moving from single-unit implants to full-arch rehabilitation.

Surgically, guided systems have introduced a level of consistency that was difficult to achieve with freehand techniques alone. Stackable and staged guides allow for controlled bone reduction and precise implant placement, helping ensure that surgical execution aligns with the restorative plan. For many clinicians, this added structure reduces cognitive load and improves confidence, particularly during the early stages of incorporating full-arch treatment into practice.

The restorative phase has undergone an equally important transformation. Digital implant capture technologies now allow clinicians to accurately record implant position without traditional open-tray impressions. Digital records can be efficiently transferred to the laboratory, facilitating provisional fabrication, esthetic refinement and a predictable transition to final prosthetics. The result is often fewer patient visits, fewer remakes and a restorative process that feels controlled rather than rushed.

Join us for an evening of legendary fun, fantasy-inspired flair and unforgettable memories! Step into a world of legends and lore where myth meets the medieval. Gather your guild for an evening of dragons, knights, fairies and fantasy-filled fun as castles rise and legends come to life — costumes encouraged!

BY FRIDAY, JUNE 26 7:30-10:30 PM EXHIBIT HALL B

Equally important is the role of the dental team. Full-arch cases succeed when they are approached as systems, not heroics. Assistants, treatment coordinators, and laboratory partners play defined roles within a standardized workflow. Digital tools make delegation easier and communication clearer, allowing the dentist to focus on diagnosis, planning and execution rather than troubleshooting.

A common question remains: can the average general dentist truly do this well? Increasingly, the answer is yes, provided the transition is intentional. Full-arch dentistry does not require abandoning existing practice models. It requires refining records, committing to prosthetic-first planning and adopting workflows that emphasize predictability over improvisation.

As digital dentistry continues to evolve, full-arch treatment is becoming less about technical bravado and more about disciplined execution. For clinicians willing to invest in systems and education, it represents a natural extension of implant practice rather than a departure from it. The opportunity is not simply to place more implants, but to deliver comprehensive, life-changing care with confidence and consistency.

Dr. Richard “Sully” Sullivan earned his dental degree from the University of Tennessee College of Dentistry. He is an instructor at 3D Dentists. Dr. Sullivan maintains a private practice in Nashville, TN and can be reached at drsullivan04@gmail.com.

Dr. Tarun Agarwal earned his dental degree from the University of Missouri-Kansas City School of Dentistry. He is the founder of 3D Dentists. Dr. Agarwal maintains a private practice in Raleigh, NC and can be reached at dra@3d-dentists.com

Dr. Sullivan and Dr. Agarwal will be presenting the course “Digital Full Arch Workflow Mini-Residency: A Two-Day Digital Design Experience” (MR02) on Friday, June 26 and Saturday, June 27, at the 2026 Florida Dental Convention in Orlando. Learn more about this course and register at floridadentalconvention.com.

Developing Minimally Invasive, Maximal Regeneration Outcomes with Bone Cement

Periodontal disease is a chronic, self-destructive disease that affects the supporting structures of the tooth, i.e., bone, connective tissue and the periodontal ligament (PDL). It results in bleeding, inflammation and bone loss with eventual mobility and loss of teeth. Patients can be treated

non-surgically and surgically and are placed in a maintenance program after active treatment. Examples of surgical treatments are osseous surgery with and without bony and soft tissue augmentation. Surgery involves raising a flap to gain access to and visibility of the damaged tissues, with or without the addition of barrier membranes, hard- and/or soft-tissue grafts and growth factors, to reduce periodontal pocket depth,

promote periodontal regeneration and maintain healthy periodontium. The goal has been the regeneration of periodontal tissue and function. There has been a shift towards minimally invasive surgical procedures.

Minimally invasive surgical procedures can result in quicker healing time, less post-operative pain for the patient and less trauma to tissue both intraoperatively and postoperatively. It involves a smaller flap

design and papilla preservation. In medicine, the term “minimally invasive surgery (MIS)” was first coined by general surgeons Fitzpatrick and Wickham in 1990. 1

They defined MIS as the ability to perform a traditional surgical procedure and achieve the same or better outcomes using a surgical opening smaller than traditional surgical access.

This small surgical incision results in less postoperative discomfort, more rapid healing, less morbidity and equal or improved long-term surgical outcomes.

Minimally invasive surgery for periodontal therapy was introduced by Harrel in 1998, with the objectives of minimal mesiodistal extension of periodontal flap, minimal flap elevation to expose only 1–2 mm of alveolar bone, to avoid the placement of vertical incision, but if necessary confined within attached gingiva and not extending beyond mucogingival junction, and to avoid periosteal incision. Minimally Invasive Surgical Therapy. 2

Clinical results for this technique were similar to those of traditional surgical approaches involving larger flaps, with added benefits of reduced postoperative pain, improved healing rates, maintenance of soft-tissue height, and greater patient acceptance.

Bone cements constitute a change in thinking in maxillofacial and dental bone augmentation. 3 The surgical protocols developed by Amos Yahov are less invasive, following the original MIS principles and concepts

Patients can be treated non-surgically and surgically and are placed in a maintenance program after active treatment.

developed in general surgery and periodontology 4. The procedures utilize the periosteum and its pluripotential cells for wound healing. These procedures do not require membrane placement, and complete primary closure is contraindicated. Post-operative complications associated with traditional regenerative procedures are eliminated. Wound healing time is reduced compared to other ridge preservation and augmentation procedures. Areas treated with bone cement are ready for implant placement in 10 to 12 weeks. Bone cements are cost-effective and require no special armamentarium. The cement is prepared by mixing biphasic calcium sulfate with physiological saline in a pre-loaded syringe. The sodium chloride in the saline provides a bacteriostatic environment for the graft. The activated graft is applied to the surgical site wet. The material is then compressed with sterile gauze for three seconds to remove any residual saline. It is further compressed with another gauze and a periosteal elevator. The stable set bone cement will adhere to the underlying osseous structures.

With no need for primary closure and no membrane to exclude tissue, bone cement is ideal for ridge preservation after atraumatic extraction and for lateral ridge augmentation. In the anterior esthetic zone, up to 7mm of the material can be exposed and with posterior lateral ridge augmentation, up to 3mm.

Full-thickness flaps are necessary because the periosteum is the primary tissue responsible for bone healing and replacement of the periosteum in its original position hastens that healing process. Therefore, you do not want to exclude the periosteum with a membrane. (From “Contemporary Oral and Maxillofacial Surgery 4th Edition — Dr. Larry J. Peterson)

There is a learning curve with this new flap design, working with the periosteum rather than a membrane and handling bone cement. Providing MIS procedures to your patients and implementing bone cement protocols will reduce complications and change practice.

Conclusions

A minimally invasive approach is associated with noninferior outcomes compared with traditional approaches.

Added advantages include enhanced healing potential, increased keratinized tissue, patient acceptance and personalized and targeted treatment.

List 1: Bone Cements

• Bone cements bond directly to underlying bone

• Have osteo-conductivity, bioactivity and biodegradability

ORAL SURGERY AT FDC2026

Stay ahead of the curve in oral surgery! Discover the latest techniques in mini implants, sinus lift procedures, and full-arch digital workflows from leading experts—plus gain hands-on experience that transforms your practice and enhances patient outcomes.

FEATURED SPEAKERS

Dr. James Fine

Strategies for Predictable Minimally Invasive Surgical Therapies

Utilizing Bone Cement (C40) | Friday, June 26 | 2-4 PM

Dr. Kelly Misch

Extractions Involving the Maxillary Sinus: Repair of Sinus Perforations Workshop (W18) | Friday, June 26 | 2-5 PM

Dr. Jared Shatkin

The Latest Advances in Mini Dental Implants (C20)

Thursday, June 25 | 2-5 PM

Dr. Kevin Suzuki

Clinical Crown Lengthening Workshop (W04)

Thursday, June 25 | 8-11 AM

Basic and Advanced Suturing: Hands-On Workshop (W15)

Friday, June 26 | 9 AM-12 PM

Dr. Richard “Sully” Sullivan & Dr. Tarun Agarwal

Digital Full Arch Workflow Mini-Residency: A Two-Day Digital Design Experience (MR02)

Friday, June 26-Saturday, June 27 | 9 AM-5 PM, Both Days

Dr. Thomas Wiedemann

Extraction and Oral Surgery for General Dentists (C61)

Saturday, June 27 | 9 AM-12 PM

Extractions, Complications and Site Preservation for General Dentists – A Hands-on Workshop (W30) Saturday, June 27 | 2-5 PM

Dr. Jared Williams

Unlocking the Code of the 3rd Molar Surgery for the General Practitioner (C35) | Friday, June 26 | 9 AM-12 PM

Unlocking the Code of the 3rd Molar Surgery for the General Practitioner: A Hands-on Workshop (W21) Friday, June 26 | 2-5 PM

• It can be modified by adding hydroxyapatite

• Releases calcium ions that will precipitate into an HA-like calcium phosphate lattice

List 2: Types of Bone Cement

• Magnesium based

• Calcium phosphate-based

• Calcium sulfate-based

• Polymethyl methacrylate-based

List 3: Surgical Principles for Bone Cement

• Flap with minimal extension apically

• One vertical, if necessary, distal to the site of concern

• No membranes

• Flaps are not tension-free but stretched and then closed under maximal tension

• No primary closure but maximal closure to approximately 3mm in posterior sites and minimal maximal closure in the esthetic zone

• Polymer wound dressings are placed and secured over site

List 4: Principles of Bone Regeneration with Bone Cement

• Syringe: Two compartments for fast self-activating bone cement

• Cement: Two-thirds Calcium Sulfate and one-third Resorbable HA

• Wound dressing

• Reduces pain/wound protection/self-adhesive with salvia

• Adheres using a hydrophilic polymer

• Slightly wet area

• Gently press for three -10 seconds

• Can be sutured

List 5: Surgical Setup

• Simple and minimal

• #15 scalpel blades and handle

• Periosteal elevators

• Needle holder

• Scissors

• Tissue forceps

• Rongeurs

• Small bone file

List 6: Bone Cement Indications:

• Small bony ridge defects

• Large bony ridge defects

• Ridge preservation procedures

• Radicular and periapical defects

• Lateral ridge augmentation

• Immediate implant placement

• Delayed implant placement

• Sinus augmentation, both vertical and horizontal

• Treatment of peri-implantitis

• Treatment of periodontal defects

Dr. James Fine earned his dental degree from Tufts College of Dental Medicine. He is board-certified by the American Board of Periodontology. He is the Senior Associate Dean of Postgraduate Education at Columbia University College of Dental Medicine. Dr. Fine is a practicing dentist in New York, NY and can be reached at jbf1@cumc.columbia.edu.

Dr. Fine will be presenting the course “Strategies for Predictable Minimally Invasive Surgical Therapies Utilizing Bone Cement” (C40) on Friday, June 26, at the 2026 Florida Dental Convention in Orlando. This course is free for FDA members! Learn more about his course and register at floridadentalconvention.com.

References:

1. Sultan N, Jafri Z, Sawai M, Bhardwaj A. Minimally invasive periodontal therapy. J Oral Biol Craniofac Res. 2020 Apr-Jun;10(2):161-165. doi: 10.1016/j.jobcr.2020.04.014. Epub 2020 Apr 19. PMID: 32489815; PMCID: PMC7254457.

2. Thamaraiselvan M, Narayan S, Soundarajan S. Minimally invasive surgery periodontal therapy for the treatment of intrabony periodontal defects: A systematic review. Contemp Clin Dent 2022;13:101-7

3. Baranes D, Kurtzman GM. Biphasic Calcium Sulfate as an Alternative Grafting Material in Various Dental Applications. J Oral Implantol. 2019 Jun;45(3):247-255. doi: 10.1563/aaid-joi-D-18-00306. Epub 2019 May 1. PMID: 31042446.

4. Yahav A, Kurtzman GM, Katzap M, Dudek D, Baranes D. Bone Regeneration: Properties and Clinical Applications of Biphasic Calcium Sulfate. Dent Clin North Am. 2020 Apr;64(2):453-472. doi: 10.1016/j. cden.2019.12.006. Epub 2020 Jan 18. PMID: 32111280.

20+ FREE COURSES FOR FDA & ADA MEMBERS*

SAVE UP TO 20%! REGISTER BY 4/10

EXCLUSIVE ON-SITE COUPONS FROM EXHIBITORS

NIGHTLY SOCIAL EVENTS INCLUDED IN YOUR REGISTRATION

FREE PRE-REGISTRATION FOR FDA MEMBERS*

2 FREE KEYNOTE SESSIONS (NC06 & NC08)

$25 LUNCH VOUCHER FOR EXHIBIT HALL CONCESSIONS WHEN YOU PURCHASE AN AM & PM COURSE ON THURSDAY

DISCOUNTED REGISTRATION FEES FOR FDA MEMBERS’ TEAM MEMBERS

DISCOUNTED TICKETS TO WALT DISNEY WORLD THEME PARKS*

FREE COURSE (C52) FOR DENTAL HYGIENISTS!*

FREE EXHIBIT HALL PASSES*

$15 LUNCH AND LEARN (NC11) SPONSORED BY LEGALLY MINE

FREE OFF-SITE PARKING AND SHUTTLE FOR DRIVE-IN ATTENDEES

DISCOUNTED HOTEL RATE AT GAYLORD PALMS - $221 PER NIGHT, INCLUDING FREE SELF-PARKING*

WAYS TO SAVE

*DEADLINES APPLY

& Peri-Implant Grafting Hands-on Workshop

This hands-on workshop provides advanced, clinically focused training in fully guided implant surgery, covering digital planning, guided implant placement, crestal sinus lifts, and bone grafting to improve precision, safety, and surgical outcomes. Seating is limited to 30!

FRIDAY MAY 1, 2026 TIME 1:30-5:30 PM

$649

Thomas Yoon, DDS Dean, LECOM School of Dental Medicine in Bradenton

The Future of Dental Marketing: What Every Practice Needs to Know in 2026

Dentistry is entering a new era — one where growth relies not only on clinical excellence but also on how effectively practices communicate their value in an increasingly digital world. As patient expectations evolve, dental marketing must shift from random activities to intentional, system-driven strategies that support predictable, measurable growth.

In analyzing hundreds of dental campaigns and consulting with practices across North America, one reality has become clear:

Marketing rarely fails because dentists aren’t trying hard enough. It fails because the strategy behind the effort is not aligned with how modern patients make decisions.

This article highlights a key concept I’ll be expanding on at the 2026 Florida Dental Convention (FDC2026), offering a preview of the strategic framework that drives sustainable growth for dental practices today.

The Rise of the Digital-First Dental Patient

A decade ago, patients chose a dentist based on geography, referrals or insurance lists. In 2026, that decision begins online — even when a patient has been referred by someone they trust.

Today’s dental patient wants reassurance before they ever pick up the phone.

One dentist shared that a new patient almost chose another provider — not because of fees, services or availability, but because their website felt “unclear and outdated.”

She explained: “If the website feels behind, I start worrying everything else is behind too.”

This reflects a growing truth in dental marketing: First impressions now happen long before the first appointment.

Why Many Dental Practices Struggle to Grow — Even With Marketing Help

Across the industry, practices often encounter the same obstacles:

• Marketing is viewed as a cost, not an investment

• Efforts are activity-based (posting, boosting) rather than strategy-driven

• No tracking or measurement of results

• Messaging is generic and fails to differentiate the practice

• Competitor copying replaces thoughtful positioning

These gaps create inconsistent results, wasted budgets and stalled growth.

The most successful practices aren’t always the largest ones — they’re the ones with clear messaging, consistent branding and systems that support sustained growth.

The Future of Dental Marketing: System, Message and Measurement

1. Precision Messaging Drives Patient Choice

Growth accelerates when practices are clearly defined:

• Who they serve

• The problems they solve

• What makes them different

Modern patients respond to clarity, not cliché slogans.

This is one of the foundational concepts I’ll be covering at FDC2026.

2. Websites Built for Conversion (Not Decoration)

A dental website is no longer just an information page — it’s the core of the patient conversion system.

High-performing websites in 2026 must be:

• Fast-loading

• Mobile-first

• Structured around strong calls-to-action

• Backed by trust signals (reviews, credentials, results)

• Easy to navigate and designed for patient psychology

When a website converts effectively, every other marketing channel performs better: Google Ads, SEO, referrals, social media and email.

3. Tracking: The Future of Predictable Growth

Practices that grow consistently are the ones that measure consistently.

This includes:

• Call tracking

• Form tracking

• Click-to-call analytics

• Conversion tracking

• Cost per lead

• Cost per patient

If a practice can track it, it can improve it.

If it can’t, marketing becomes guesswork.

In my session, I’ll break down how tracking transforms marketing from a gamble into a predictable system.

Paid Ads Are Evolving and So Should Your Strategy

Paid ads are powerful, but only when supported by a strong foundation.

Google Ads

Great for high-intent searches such as:

• Dental implants

• Dentures

• Orthodontics

• Emergency dentistry

These campaigns require strong landing pages and clear messaging to convert.

Meta Ads (Facebook & Instagram)

Ideal for:

• Awareness

• Storytelling

• Branding

• Cost-effective lead generation

Paid ads should support your marketing strategy, not replace it.

Educational Content: The New Trust Builder

Content that works in 2026 is:

• Educational

• Story-driven

• Authentic

• Specific

Patients don’t want generic “top 10 tips.”

They want clarity, reassurance and proof of expertise.

One practice doubled consultations by shifting from template-style posts to short educational videos that addressed real patient concerns.

This is the type of content evolution we’ll break down at FDC2026.

PEDIATRIC DENTISTRY AT FDC2026

Enhance your pediatric expertise with expert-led sessions that provide practical insights you can apply immediately to your practice. Whether you’re new to treating children or a seasoned professional, these sessions provide the latest research, techniques, and clinical tips to support healthier outcomes for your youngest patients.

Pediatric Course Highlights

Behavior Strategies for the Dental Chair: An Introduction to Applied Behavior Analysis in Dental Practice (C07)

Allison Berard, BCBA, MS | Thursday, June 25 | 8:30-9:30 AM

Cultivating Healthy Smiles: Nurturing Oral Growth from the Start (C66)

Joy Lantz, RDH | Saturday, June 27 | 2-5 PM

Decoding Myofunctional Disorders: Causes and Effects (C54)

Joy Lantz, RDH | Saturday, June 27 | 9-12 PM

Dental Trauma and the Pediatric Patient (C44)

Michael Roseff, DMD & Marcie Young, DMD | Friday, June 26 | 2-4 PM

Glass Ionomers: How They Fit into Your Restorative Workflow

Hands-on Workshop (W28)

Lou Graham, DDS | Saturday, June 27 | 2-4 PM

Pediatric Dental Pearls — Tips and Tricks for Treating Children (C34)

Michael Roseff, DMD & Marcie Young, DMD | Friday, June 26 | 9 AM-11 AM

Winning Together: Patient Communication, Parent Partnership and Team Success (PM08)

Reza Ardalan, DMD | Friday, June 26 | 9-11 AM

Marketing rarely fails because dentists aren’t trying hard enough. It fails because the strategy behind the effort is not aligned with how modern patients make decisions.

Where Most Practices Break: Systems and Internal Processes

Marketing doesn’t fail because clinicians lack expertise, it fails because:

• No one owns the strategy

• Messaging is inconsistent

• Leads aren’t followed up with properly

• Ads are set and forgotten

• There is no content calendar

• Systems are missing or incomplete

Predictable growth requires predictable systems.

This is a core part of the framework I’ll be sharing at the conference.

2026 and Beyond: What Successful Practices Will Have in Common

The dental practices that thrive will be the ones that:

• Know their ideal audience

• Communicate a clear, differentiated message

• Treat marketing as an investment, not an expense

• Track every patient-generating action

• Build websites designed for conversion

• Maintain consistent branding and content

• Use data, not guesswork, to guide decisions

• Implement internal systems that support follow-through

The practices that struggle will be the ones that rely on outdated methods and inconsistent execution.

Final Thought

This article covers just one portion of the larger roadmap I’ll be presenting at FDC2026. My goal is to help practices understand that the future of

dental marketing isn’t about trends, hacks or guesswork — it’s about building a system that supports predictable, long-term growth.

If this resonated with you, I look forward to sharing the full framework at FDC2026. There’s much more to explore — and the practices that start preparing now will be the ones leading their markets in the years to come.

Mr. Brandon Bosch is a certified marketing expert and partner in Google and Meta advertising. He is the chief executive officer of Dr. Marketing and can be reached at events@drmarketing.io

Mr. Bosch will be presenting the course “How To Make Marketing Work For You” (NC15) on Saturday, June 27, at the 2026 Florida Dental Convention in Orlando. This course is free for FDA members! Learn more about his course and register at floridadentalconvention.com

FLORIDA DENTAL CONVENTION EXHIBIT HALL

JUNE 25-27, 2026 – GAYLORD PALMS RESORT - ORLANDO

Visiting the FDC Exhibit Hall is an invaluable opportunity for you to experience a comprehensive showcase of the latest advancements in the dental field, from cutting-edge technology to innovative treatment options. Stay up-to-date on industry trends, expand your skills, and discover products and services that can enhance patient care and the overall dental practice experience all under one roof at FDC2026. Support the companies that support the Florida Dental Convention!

A-C

3D-DENTISTS

A1 HANDPIECE SPECIALISTS

A2Z IMAGING

ABYDE

ACCURATE EMPLOYER SOLUTIONS

ACTEON NORTH AMERICA

ADIT

ADS DENTAL SYSTEM INC.

AIR TECHNIQUES INC.

ALIGN TECHNOLOGY INC.

ALLTION/VEREX

ALPHAEON CREDIT

ALWAYS NYE

AMERICAN DENTAL INSTITUTE ANDAU MEDICAL

AR INSTRUMED USA LLC

ARCHY

ARKRAY USA

ARTCRAFT DENTAL INC.

ASCENT AI

ASEPTICO

ATLANTA DENTAL SUPPLY

ATOMICA AI

AUGMA BIOMATERIALS

AUTOREMIND

BALLARD GLOBAL

BANK OF AMERICA PRACTICE SOLUTIONS

BAUSCH ARTICULATING PAPERS INC.

BENCO DENTAL

BEST CARD LLC

BEST INSTRUMENTS USA

BIOGAIA PROBIOTICS

BIOHORIZONS

BIRDEYE

BISCO

BMO BANK

BONADENT DENTAL LABORATORIES

BQ ERGONOMICS LLC

BRASSELER USA

CAD-RAY

CARABELLI CLUB

CARECREDIT

CARESTREAM DENTAL CARR

CENTURION HEALTH

CITY NATIONAL BANK

CLASSIC CRAFT DENTAL LABORATORY

CLIX THERAPY

CLOUD DENTISTRY

COASTAL PROFESSIONAL CONTRACTING INC.

COLGATE

COLTENE/SCICAN

CORE SCIENTIFIC

CREST + ORAL-B

CROWN TENANT ADVISORS

CS & PRECIOUS METALS PROTECTION AGENCY

CSSI

CULTURE DENTAL ADVISORS

CUTCO

D-F

DANDY

DDS MATCH FLORIDA

DENTAL BUYING POWER

DENTAL DEALER SOLUTIONS

DENTAL EQUIPMENT LIQUIDATORS INC.

DENTAL HERB CO.

DENTAL INTELLIGENCE

DENTAL PITCH BROKERAGE

DENTAL TRIBUNE AMERICA

DENTALCORP

DENTALEZ-DSX

DENTALREE.COM INTERNATIONAL INC.

DENTAQUEST

DENTLINK

DENTOW DENTAL LLC

DESIGNS FOR VISION INC.

DEUTSCHE DENTAL TECHNOLOGIES

DEXIS

DH METHODS OF EDUCATION INC.

DIGITAL DOC

DIGITAL FLOSS AGENCY

DIGITAL HEALTHCARE PROFESSIONALS

DOCTOR MULTIMEDIA

DOCTOR'S CHOICE PRACTICE TRANSITIONS

DOCTORSINTERNET

DORAL REFINING CORP.

DR. JEN ORAL CARE

DR. MARKETING

DREVE AMERICA

EASSIST DENTAL SOLUTIONS

EKOS DENTAL GROUP

ELEVATE ORAL CARE

ELITE PAYMENT GROUP

EMS DENTAL

ENERGIZE GROUP

EQUITABLE - ADA MEMBERS RETIREMENT PROGRAM

ESTHETIC PROFESSIONALS

FLORIDA DENTAL ASSOCIATION (FDA)

FDA FOUNDATION

FDAPAC

FDA SERVICES INC.

FFS CONSULTANTS

FLAUS ELECTRIC FLOSSER

FLORIDA COMBINED LIFE

FLORIDA MEDICAL ADVISORS

FLORIDA PROBE CORP.

FOTONA

FOUR QUADRANTS ADVISORY

G-K

GARFIELD REFINING CO.

GARG INSTITUTE

GARRISON DENTAL SOLUTIONS

GC AMERICA INC.

GLIDEWELL DENTAL

GLOBAL STRATEGIC

GREATER NEW YORK DENTAL MEETING

HALEON

HALYARD

HAWAIIAN MOON

HEARTLAND DENTAL

HENRY SCHEIN DENTAL PRACTICE

TRANSITIONS

HENRY SCHEIN ONE

HR FOR HEALTH

HUFRIEDYGROUP

HUMANA

HUNTINGTON PRACTICE FINANCE

HUNZA DENTAL

IMPLADENT LTD

IMPLANT EDUCATORS ACADEMY

IOTECH INTERNATIONAL

ITXPROS

JIM O'BRIEN ARCHITECTURE & INTERIORS

JMU DENTAL INC.

KALEIDOSCOPE SERVICES

KAVO

KENVUE

KENWOOD/WIRED FOX TECHNOLOGIES

KERR DENTAL

KETTENBACH LP

KWIKLY DENTAL STAFFING

L-Q

LEGALLY MINE

LUMADENT INC.

MANGO VOICE

MEDIANV

MEDILOUPES

MEDIT

MEDS 2U PHARMACY: EMERGENCY

DENTAL KITS

MEGAGEN AMERICA

MEISINGER USA & CANADA

MERCHANT PREFERRED ZERO

MID-FLORIDA ENDODONTICS

MONSTER DENTAL SUPPLY

NEOCIS

NEW TEETH NOW

NEW YORK AVE

NIEL CONSTRUCTION GROUP

NIGHT SKY SEDATION

NOVIS INC.

NSK AMERICA CORP.

FREE PRE-REGISTRATION FOR FDA MEMBERS!

NUCHAIR

OCEANVIEW BUILDING GROUP

OLYMPUS DENTAL

OOMA INC.

ORAL ARTS DENTAL LAB

ORASCOPTIC ORI

OVERJET

OWL ADVANTAGE DENTAL SOLUTIONS

PAN-AM DENTAL LAB

PANACEA FINANCIAL

PARKVIEW DENTAL PARTNERS

PATTERSON DENTAL

PEARL

PHILIPS SONICARE AND ZOOM WHITENING

PHONENINJAS AI

PLANMECA

POWER DENTAL GROUP

PPO PROFITS

PRODIA DENTAL

PROFESSIONAL SALES ASSOCIATES INC.

PROGRESSIVE SOLUTIONS

PROVIDE

Q-OPTICS & QUALITY ASPIRATORS

R-S

RELEAF DENTAL

RELIABLE ARTS DENTAL LAB

REVENUEWELL

RGP DENTAL INC.

RITTER DENTAL

ROE DENTAL LABORATORY

SAFEINS MEDICAL SURGICAL ARTICLES AND REQUISITES TRADING CO LLC

SAGE DENTAL

SALVIN DENTAL SPECIALTIES INC.

SGA DENTAL PARTNERS

SHAMROCK DENTAL CO. INC.

SHATKIN F.I.R.S.T. LLC

SHOFU DENTAL CORPORATION

SHOPADOC, INC.

SHOWCASE DENTAL LABORATORY

SNAP IT BELLA MAGNETIC STRAPS

SNAP ON OPTICS

SOLMETEX

SOLUTIONREACH

SOUTHERN DENTAL REFINING

SPRINTRAY

STAR DENTAL PARTNERS

STELLALIFE

STESZEWSKI LAW

STRAUMANN

STREAMHEALTH GROUP

STRICTLY DENTAL

SUMMIT HANDPIECE EXPRESS

SUNRISE DENTAL EQUIPMENT INC.

SURGICALLY CLEAN AIR

SURGITEL

T-Z

TATUM SURGICAL

TD BANK

THE ARGEN CORP.

THE DAWSON ACADEMY THE DOCTORS CO.

THE FREEHAND RING

THE TRANSITIONS GROUP LLC

THEPRACTICECONSULTANT.COM LLC

TITAN PLACEMENT GROUP LLC

TOKUYAMA DENTAL AMERICA

TRIAD AER

U.S. BANK HEALTHCARE BUSINESS BANKING

ULTRADENT PRODUCTS INC.

ULTRALIGHT OPTICS INC.

ULTRASHARP LLC.

UNIFY HEALTHCARE SERVICES LLC

VAKKER DENTAL INC.

VATECH AMERICA

VERVE LABS INC.

VIDEO DENTAL CONCEPTS

VIZISITES

VOCO AMERICA INC.

WEAVE

WEO MEDIA

WORLD AI GROUP

X-NAV TECHNOLOGIES LLC

XITE REALTY LLC

YEAH DENTAL

YOUR IT GUYS

YOURDENT-USA

ZERO DENTAL BILLING

ZEST DENTAL SOLUTIONS

Times are subject to change EXHIBIT

THURSDAY, JUNE 25

11 AM-6 PM

Exhibit Hall Open to Attendees

11 AM-6 PM

Merch Booth Open to Attendees

11 AM-2 PM

Lunch available to purchase 4-6 PM

Welcome Cocktail Reception

FRIDAY, JUNE 26

9 AM-6 PM

Exhibit Hall Open to Attendees

9 AM-6 PM

Merch Booth Open to Attendees

11 AM-2 PM

Lunch available to purchase

SATURDAY, JUNE 27

9 AM-2 PM

Exhibit Hall Open to Attendees

9 AM-2 PM

Merch Booth Open to Attendees

11 AM-2 PM

Lunch available to purchase

EXHIBITORS IN GREEN ARE FDAS CROWN SAVINGS PARTNERS.

Dental Lifeline Network Volunteers Transform the Life of a Grandmother in Need

For many, aging becomes a time of unexpected hardship when chronic health conditions begin to pile up. They don’t just affect their body — they can threaten their financial stability and quality of life. Debbie’s story shows the life-changing power of donated dental treatment and how volunteering through Dental Lifeline Network • Florida’s Donated Dental Services (DDS) program can make all the difference.

Debbie’s Story

Debbie, 71, spent years working as a legal aid secretary in Washington, D.C. Today, the Palm Beach resident and grandmother faces a different reality. Struggling with

COPD, orthopedic complications and other health issues, she relocated to Florida to get help and support from her daughter.

Sadly, Debbie’s compounding medical issues had a lasting impact on her teeth. For years, she struggled to chew solid food and lived in severe pain. Relying on a small Social Security Disability benefit, the care she needed was simply out of reach. She longed to enjoy life without pain and to truly be present with her two grandsons.

DDS Volunteers Make a Difference

Thankfully, this all changed when generous DDS volunteers stepped in to help. Dr. Elizabeth Gordon, a general dentist and dedicated DDS volunteer, provided the comprehensive care Debbie needed. Dr. Gordon extracted 23 teeth and, with the vital support of Goldsmith Dental Lab, provided Debbie with permanent full upper and lower dentures.

Thanks to the kindness of these volunteers, Debbie received thousands of dollars in donated treatment that completely restored her oral health. Now, Debbie can not only eat without pain, but she can also have more fun with her grandsons.

“You helped totally change my life medically, physically and emotionally,” expressed Debbie. “I feel like a different person — I can smile again, and even with all my medical problems, getting my teeth taken care of has

Dr. Elizabeth Gordon and Debbie

made such a difference. Thank you — this is such a blessing.”

The Need for Care and How You Can Help

Stories like Debbie’s are far too common. For many aging adults, individuals living with disabilities or those who are medically fragile, dental care is often unaffordable. Dental Lifeline Network exists to help these vulnerable adults receive the life-changing dental treatment they desperately need by leveraging a network of volunteer dental specialists and labs.

“My decision to volunteer with the DDS program reflects a deep sense of commitment to both my community and my profession,” said Dr. Elizabeth Gordon. “By giving back, improving patients’ lives and utilizing my skills for a meaningful cause, I’m setting a powerful example of how healthcare professionals can make a tangible impact beyond their everyday practice.”

DDS volunteers in Florida have given more than $12 million in donated services, transforming the lives of more than 2,290 people. You can volunteer with DLN • FL and help reach even more individuals in desperate need of treatment.

Introducing Dental Lifeline Network’s New Florida DDS Coordinator

Kaitlyn Hicks joins Dental Lifeline Network as the new DDS Coordinator and volunteer engagement liaison in Florida. She is a Tallahassee native and Florida State University alumna, holding a bachelor’s degree in environmental studies and a master’s degree in international and comparative education. She brings nearly a decade of experience as a community organizer in Tampa, where she worked closely with interfaith coalitions to address critical local challenges.

Kaitlyn is excited to now serve as the DDS Coordinator in Florida. “I’m deeply committed to expanding access to dental care — I believe it’s essential not only to restoring smiles and confidence, but also to saving lives,” Kaitlyn expressed. “I’m passionate about building meaningful partnerships with volunteers and supporting patients through transformative journeys of care.”

Kaitlyn enjoys exploring Tallahassee’s beautiful trails with her husband and dog, getting creative with arts and crafts and playing ultimate frisbee.

Be sure to find Kaitlyn at any of the upcoming events below and come say hello!

• April 11 – ACDDA Annual Meeting

Don’t wait! Sign up to be a volunteer by scanning the QR code below or visit WhyIDental.org and you can transform the lives of individuals in need of life-saving dental care.

• May 1-2 – CFDDA Annual Meeting

• May 15-16 – Mission of Mercy

• June 25-27 – FDC

Ms. Hicks can be reached at khicks@dentallifeline.org.

Ms. Kaitlyn Hicks

Take the first step on the path to dental radiography certification. Train online, at your own pace. Study anywhere! The Florida Dental Association (FDA) Online Radiography Training Program provides you the formal training you need, with the professional development you want. Enrich your career path while contributing a vital service to your patients and dental team. It’s the most convenient and economical way to get the radiography training required by Florida law. It’s affordably priced, too — just $285 per student* for FDA members!

Trauma-Informed Care in Dentistry: Recognizing Responses and Preventing Re-Traumatization

Dental visits require a level of physical closeness and vulnerability that can be stressful for many patients, particularly those who have experienced trauma.

Trauma-informed care in dentistry does not require knowing a patient’s personal history or asking them to disclose experiences. Instead, it focuses on recognizing common trauma responses and on delivering care that prioritizes safety, choice and dignity for every patient.

Trauma responses often appear subtly in the dental chair. Some patients may seem unusually tense, rigid or hyper-alert. Others may have difficulty sitting still, repeatedly cancel appointments or show heightened sensitivity to pain. A patient might become tearful, irritable or withdrawn without a clear clinical cause. In some cases, providers may notice dissociation — patients appearing “checked out,” quiet or detached while their body

intimate partner violence

language suggests distress. These behaviors are not signs of resistance or noncompliance; they are adaptive nervous-system responses to perceived threat.

Certain aspects of dental care can be especially triggering. Reclining in a chair, having one’s mouth occupied, bright lights, strong smells, loud tools or the inability to speak can activate feelings of powerlessness or fear. For individuals with a history of interpersonal violence, medical trauma or childhood adversity, these sensations may echo past experiences of loss of control, even during routine procedures.

Avoiding re-traumatization begins with predictability and transparency. Explaining what will happen before it happens, using calm, straightforward language, reduces uncertainty. Simple statements like “I’m going to lower the chair now” or “You’ll feel pressure for about ten seconds” help patients stay oriented. Checking in during procedures and offering brief pauses reinforces that the patient remains an active participant in their care.

Choice is another cornerstone of trauma-informed dentistry. When possible, offering options around pacing, positioning or breaks restores a sense of control. Establishing a nonverbal stop signal before beginning allows patients to communicate discomfort even when they

cannot speak. These small practices communicate respect and partnership without disrupting clinical workflow.

Language also matters. Neutral, non-judgmental communication helps patients feel safe. Avoid minimizing discomfort or rushing responses. Statements such as “You’re doing well; take your time,” or “Let me know if you need a pause,” validate the patient’s experience without drawing attention to distress.

Trauma-informed care also protects dental professionals. Shifting from “What’s wrong with this patient?” to “What might this patient need to feel safe?” reduces frustration, improves cooperation and enhances care quality. This approach does not require longer appointments or counseling skills — just awareness, consistency and compassion.

As part of creating a trauma-informed environment, dental practices can also share information about support resources through universal education, without asking patients to disclose or explain their experiences. In Florida, patients can access confidential support and safety planning through the Florida Domestic Violence Hotline at 1.800.500.1119 (TTY 1.800.621.4202). Making this information quietly available, such as on a card or in a restroom, signals that help exists and that safety matters.

Checking in during procedures and offering brief pauses reinforces that the patient remains an active participant in their care.

You may never know when a patient uses the information you share, but by combining trauma-informed care with access to trusted resources, dental professionals become part of a broader network of support that offers respect, choice and connection one patient at a time.

The Florida Partnership to End Domestic Violence’s (FPEDV) Chief Program Officer, Tanesha McDonald, can be reached at taneshamcdonald@fpedv.org

FPEDV is committed to supporting you through training, resources and collaborative opportunities that strengthen your response to intimate partner violence (IPV) in clinical settings. For more information, visit fpedv.org or contact us directly to learn how to integrate IPV awareness better into your practice.

Is your medical liability insurer invested in shareholder interests, or

INVESTED IN YOU?

Why choose a medical liability insurer that rewards investors versus rewarding you?

At The Doctors Company we answer only to members like you. Not Wall Street. That’s why we’ve delivered $485 million in dividends to our members. And it’s why our unrivaled Tribute® Plan has awarded over $175 million to members who have spent their careers advancing the practice of good medicine.

Starting Jan. 1, 2025, FDA members have free, confidential access to AllOne Health‘s counseling and work/life services.

The Florida Dental Association’s (FDA) Member Assistance Program (MAP) can help you reduce stress, improve mental health and make life easier by connecting you to the right information, resources and referrals.

All services are confidential and available to you and your household as an FDA member benefit. This includes access to short-term counseling and the wide range of services listed below:

Mental Health Sessions

Manage stress, anxiety and depression; resolve conflict, improve relationships and address personal issues. Choose from in-person sessions, video counseling or phone counseling.

Life Coaching

Reach personal and professional goals, manage life transitions, overcome obstacles, strengthen relationships and achieve greater balance.

Financial Consultation

Build financial wellness related to budgeting, buying a home, paying off debt, resolving general tax questions, preventing identity theft and saving for retirement or tuition.

Legal Referrals

Receive referrals for personal legal matters including estate planning, wills, real estate, bankruptcy, divorce, custody and more.

Work-Life Resources and Referrals

Obtain information and referrals when seeking childcare, adoption, special needs support, eldercare, housing, transportation, education and pet care.

Personal Assistant

Save time with referrals for travel and entertainment, professional services, cleaning services, home food delivery and managing everyday tasks.

Medical Advocacy

Get help navigating insurance, obtaining doctor referrals, securing medical equipment and planning for transitional care and discharge.

Member Portal

Access your benefits 24/7/365 through the member portal with online requests and chat options. Explore thousands of self-help tools and resources including articles, assessments, podcasts and resource locators.

Breaking the Restorative Cycle:

How Material Choice Shapes Oral Health Outcomes

The following are examples of currently available restorative options using gold, alloys and composite materials.

The replacement of failed restorative dentistry remains a significant aspect of operative dental procedures performed in the United States and Canada. 1,2,6,7

Restorative dentistry is an invasive, irreversible process that involves creating restorations with a finite lifespan. Therefore, the most significant consequence of repairing dental defects, and indeed for all operative interventions, is the need to replace restorations when they fail. 1,2,3,4

The newer materials available today have their place; however, if a dentist is to be a complete operative professional, the understanding and skills needed to perform all available restorative materials are paramount. This foundational principle can be brought into focus by understanding the concept of the Restorative Cycle.

The choice of restorative materials, combined with the operator’s skill level, profoundly influences the restoration’s life expectancy. For example, placing direct composite in the posterior quadrants of a patient with a high caries index will lead to early tooth loss and poor oral health. Numerous studies have shown that amalgams are the material of choice for these patients. The duration of service for any restorative option has direct consequences on oral health. 1,2,4,5,6,7

MOD gold foil
DOL cast gold inlay
Composite/foil sandwich technique showing gold foil in Class II proximal boxes. Final composite bonded to tooth with total etch and gold with the aid of Metal Tite by Tokuyama.

Foil / composite sandwich technique

Deep carious class II lesion restored using glass ionomer base, with gold foil proximal box repair and finally completed with bonded composite.

The restorative cycle consists of three major events: first, the loss of tooth structure due to trauma or the initial disease process. Next is the loss of tooth structure during the necessary preparation of a tooth to receive a restoration. The final event occurs when the restoration fails and must be replaced. With the replacement restoration, the restorative cycle is repeated.

All restorative options are subject to restorative cycles. Add to this the human tendency to settle into routines, where the average dentist gives little thought, other than color, of the material chosen and even less thought

to the “environment” into which that material is to be placed, and the restorative cycle is accelerated.

This fundamental understanding of the finite life of all restorative procedures, as they relate to the environment the patient presents, should be one of the determining factors in selecting the restorative material best suited to any restorative situation. Therefore, any attempt to quantify the predicted life of a restoration should help dentists and patients make informed decisions about restorative options.

Radiograph showing placement of gold foil in the proximal box, improving the longevity of a class two composite.

Large pin alloy five years in function, polished quadrant of alloy restorations.

As a dentist, one of the best first steps is to review the restorations the patient presents with.  You will see many old alloy restorations. You are unlikely to see many old posterior composites. This should speak volumes to the new dentist.  Second, do outcome assessments on your work. Keep records of how long restorations last before needing to be replaced. After a few years, the doctor will have a good understanding of the service life of restorations completed by the dentist in question. This will translate into an understanding of which restorative mate-

FDA Career Center

restorative cycle

Selecting the appropriate restorative material from all the available options that meet the needs of the patient and the environment in which the patient presents is dentistry with excellence and a lifetime of good oral health.

rial is best suited for each patient. Finally, every dentist should be able to complete restorative work using any available restorative material that will meet the unique needs of their patients.

Selecting the appropriate restorative material from all the available options that meet the needs of the patient and the environment in which the patient presents is dentistry with excellence and a lifetime of good oral health. This should be the mantra of any dentist who professes to be an ethical operative dentist.

References

1. Moore, D.L. and Stewart, J.L. Prevalence of defective dental restorations, J. Pros Dentistry, April 1967 p. 373-378.

2. Fontana, M. and Gonzalez-Cabezas, C. Secondary Caries and Restoration Replacement: Unresolved Problem, Compendium, January 2000, p. 15-24.

3. Henry, D.B. A Philosophy for Restoring Virgin Caries, J. Operative Dentistry, Sep/Oct 2008-Vol 33 #5 p. 475-483.

4. Henry, D.B. The Consequences of Restorative Cycles J. Operative Dentistry, Nov 2009, Vol 34, issue 6, p. 759-760.

5. Hilton, T.J., Broome, J, Fundamentals of Operative Dentistry, Third Edition, Chapter 10 p. 295.

6. Roulet J.F., Review of the clinic survival of direct and indirect restorations in posterior teeth of permanent dentition, J. Dent, 1997, Nov, 25 {6} p. 459-473.

7. Manhart J., Chen H., Hamm G., Hickel R., Benefits and disadvantages of tooth-colored alternatives to amalgam, J. Operative Dentistry, 2004, Sept/Oct, Vol 29, {5} p. 481-508.

Dr. Dan B. Henry is a past president of the Florida Dental Association, the American Academy of Gold Foil Operators and the Florida Academy of Dental Practice Administration. Dr. Henry can be reached at golddoc46@gmail.com.

FDAS CROWN SAVINGS

PRACTICE FINANCING

50% reduction in loan administration fees.

800.497.6076 • bankofamerica.com/practicesolutions

PAYMENT PROCESSING

877.739.3952 • bestcardteam.com

PATIENT CARE FINANCING

Get started for only $30 ($165 savings). 800.800.5759 • carecredit.com/dental ADA CREDIT CARD

Earn points plus no annual fee. 888.293.1595 • adamastercard.com

800.594.0883 • abyde.com/fda

Americans with Disabilities Act —

Many dental practices are being sued for having public-facing websites that do not meet the Americans with Disabilities Act’s standards. This flowchart and the websites mentioned can help you identify potential issues with your practice’s website and hopefully save you from potential legal jeopardy as it relates to your practice website.

accessibe.com/accessscan

www.accessibilitychecker.org

www.audioeye.com/website-accessibility-checker

www.skynettechnologies.com/accessibility-checker

wave.webaim.org

Human Papillomavirus Positive Oropharyngeal Cancer [HPV+ OPC]:

Early Diagnosis by Dentists

The human papillomavirus [HPV] is now the leading cause of oropharyngeal cancer [OPC]. Because of the features of this form of cancer, almost all practicing dentists will see one or more patients with this condition. The early signs of this disease are often asymptomatic during a routine dental examination. This article will discuss what a patient would likely experience with early diagnosis, HPV+ OPC carcinogenesis, counselling, treatment, follow-up care and early vaccination.

HPV+ OPC is a sexually transmitted disease via oral sex. Figs. 1 and 2 show the early signs of HPV+ OPC. Many patients will not even notice it when they wake up and look in the mirror. There is no pain, no loss of taste, no dry mouth and no difficulty swallowing.1,2 But as a dentist, you will notice it right away when you perform a soft tissue exam. Fig. 1 is unilateral submandibular lymphadenopathy. Fig. 2 shows unilateral cervical lymphadenopathy.

If an undiagnosed HPV+ OPC progresses beyond the early stage, patients will experience symptoms that will likely

Fig. 1. Submandibular
Fig. 2. Cervical
Fig. 3. Oropharynx

cause them to go to a physician rather than a dentist for a diagnosis. So if you catch HPV+ OPC at this early stage, treatment is not severe and the five-year survival rate exceeds 90%.

To begin, the borders of the oropharynx need to be identified. Because this is where HPV most likely forms the primary tumor (Fig. 3, green area)3. The borders of the oropharynx are:

• Superior: Posterior soft palate

• Inferior: Epiglottis

• Anterior: Base of, or posterior aspect of the tongue

• Posterior: Pharyngeal wall

• Lateral: Palatopharyngeal folds and palatine and pharyngeal tonsils

The fauces form the narrow passage from the mouth to the pharynx. They lie between the posterior soft palate and the base of the tongue. They are lined with nonkeratinized stratified squamous epithelium. And they’re bordered by Waldeyer’s ring (Fig. 4). Waldeyer’s ring contains three important tonsils: Lingual, palatine and pharyngeal. The primary tumor of HPV+ OPC usually originates in one of these tonsils — most often the lingual tonsil at the base of the tongue. Thus, it is nearly impossible to visualize or palpate it.

HPV is 1 millionth of a millimeter in diameter (Fig. 5). It has eight genes. In contrast, the human body has between 20,000 and 25,000 genes. As of 2022, there are more than 222 types of HPV. The vast majority of warts are non-cancerous (Fig. 6). Warts can grow on both keratinized and non-keratinized epithelium. Any wart is contagious via skin-to-skin contact.

Both HPV-positive cancer of the cervix and the oropharynx are caused by 12 out of the 222-plus HPV types. One of these 12 types causes 95%: HPV type 16, or HPV16.4 So to make things simple, we will pin all the blame on HPV16. But bear in mind that 5% of the time, one of 11 other HPV types is the culprit. Now, here are three essential counterintuitive facts to always remember about HPV+ OPC and its primary tumor when you are performing a soft-tissue exam:

• The primary tumor is usually in an area not accessible for direct observation or palpation.

• HPV16 likes to settle and grow on non-keratinized mucosal epithelium.

• HPV 16 does not usually form warts.

The anogenital area and the oral cavity are both lined with keratinized and non-keratinized epithelium. Zooming in closer, non-keratinized epithelium is found both inside the cervix and in the tonsils surrounding Waldeyer’s ring. Most HPV+ OPC originates from the transfer of an HPV16 infection in the cervix to the base of the tongue

Fig. 4. The fauces & Waldeyer's ring
Fig. 5. HPV
Fig. 6. Warts

during cunnilingus. Thus, from non-keratinized mucosal epithelium to non-keratinized mucosal epithelium.

The good news is that almost all patients under the age of 30 will clear an HPV16-infected area (cervix or oropharynx) within two years. For patients older than 30, most will clear an HPV infected area sometime in their lives. But 10% of all patients with HPV16 will not clear it. It takes 10-40 years to develop HPV+ OPC from a previously infected area. Therefore, vaccination at a young age is the best prevention.5

The bad news is that HPV16 clearance rates in the oropharynx are lower than clearance rates in the cervix.

Table 1 compares the characteristics of HPV+ OPC against human papillomavirus-negative oropharyngeal cancer [HPV- OPC].

How does HPV cause oropharyngeal cancer? In the tonsils of Waldeyer’s ring, microscopic crypts trap bacteria and viruses. The non-keratinized epithelium in these crypts is also reticulated — kind of like a swaying fishing net, with spaces between the cells. This allows lymphocytes to move quickly between epithelial cells to

Table 1. Oropharyngeal Cancer Characteristics and Statistics 6

perform their immune system tasks. Unfortunately, HPV easily slips through the reticulated epithelium and heads straight for the nuclei of the immature dividing cells of the basal layer, as in Fig. 7.8

The oncogenesis of HPV+ OPC is unique among all other cancers. Each one of HPV’s eight genes has a specific job to do. Once inside a normal basal cell via endocytosis, the virus is ferried into the nucleus on a Golgi-derived vesicle. Once inside the nucleus, the viral DNA attaches itself to the basal cell’s normal DNA, thereby hijacking it. HPV then lessens and deactivates the basal cell’s tumor suppressor proteins, allowing a cancer cell made up of the new hybrid DNA to proliferate. This and other maturing cancer cells rise up through the epithelial layers to the superficial layer, forming the primary tumor and releasing more HPV virions. The process repeats. Metastasis to the nearby neck lymph nodes is likely. Warts rarely form.6,8,9 However, one tumor suppressor protein – p16 – continues to proliferate wildly. Although totally useless

Fig. 7. Tonsillar crypt

Fig. 8.

against the oncogenesis process, its presence makes for a valuable laboratory test of HPV sensitivity (see below).

Now it’s time to do an exam and take a long treatment voyage with a typical HPV+ OPC patient. The patient is in your chair and feels fine. But there is unilateral submandibular lymphadenopathy that you can palpate and visibly see in the proper light. You’ve checked for these possible symptoms of OPC: otalgia, odynophagia, dysphagia, dysphonia, airway obstruction, weight loss and hemoptysis. They probably aren’t there, since they would occur later in the disease. The patient might not know about the slight bump on their neck, or how long it’s been there.

If all possible dental pathology has been ruled out, you send the patient to their primary care physician (PCP). Or to one that you’ve selected if they don’t have a PCP. You made sure the PCP received a referral letter and your progress note. For extra credit, a phone call to the PCP could possibly get the patient an appointment sooner. The PCP will likely prescribe an antibiotic for 10 days and see the patient back on the 11th day. If the lesion persists, there is immediate concern. The patient is now referred to an ear, nose and throat (ENT) specialist. The ENT will likely perform a fine needle biopsy of the lump in the neck.

Five pieces of evidence are needed to diagnose HPV+ OPC and distinguish it from HPV- OPC. The ENT has obtained the first piece: a fine-needle biopsy. It will either be positive or negative for cancer and the type of cancer if positive (usually squamous) — nothing more. The ENT will then refer the patient to an oncologist, who will order a CT scan of the neck to locate and measure the size of the primary tumor. The oncologist will also order three more lab tests on the biopsy:

1. H&E staining, to see if HPV is present

2. PCR test to identify the specific HPV type (most likely 16)

3. p16 immunohistochemistry to confirm that the cancer is caused by an oncogenic HPV type

The results of all five tests will confirm whether the cancer is HPV+ OPC. If so, treatment can start immediately. Usually, treatment for HPV+ OPC is more tolerable than treatment for HPV- OPC. Especially if the cancer is found early during a routine dental exam. The HPV+ OPC primary tumor is usually located within Waldeyer’s ring and has well-defined borders. Secondary tumors and distant metastases are rare. The neck lymphadenopathy originally palpated is a regional, or “local,” metastasis, since the primary tumor would be only a few centimeters away. As the behavior of early HPV+ OPC is fairly predictable, oncologists refer to its treatment as “de-escalation” or “deintensification.”10 The treatment will be radiation therapy. A radiation mask is made.

In early-stage diagnosis, chemotherapy is usually not given. However, chemo with cisplatin is commonly given in conjunction with radiotherapy if the patient is a smoker. Radiation shields are not necessary because the precise amount of radiation given to 1) the primary tumor, 2) regional metastases and 3) surrounding healthy tissue is pre-programmed into the linear accelerator. Incidental exposure is therefore low.

A typical radiotherapy treatment schedule runs about seven to eight weeks. The patient has five sessions or “fractions” per week — Monday through Friday — for a total of about 35 fractions. The entire amount of radiation given over the full schedule is 64-70 Grays [Gy]. The linear

accelerator will administer each daily fraction to the target areas for about five minutes total. Currently, this is the standard of care for early-stage HPV+ OPC.10

After radiotherapy is completed, a patient will have a series of follow-up appointments for the first five years. Next, there will be at least one follow-up appointment per year for life. Table 2 shows a typical follow-up schedule. The ENT and radiation oncologist will adjust it based on the patient’s rate of improvement.11 From the schedule, one can easily deduce the importance of the laryngoscopy, since it directly visualizes the primary tumor area.

Dental management of a patient who had treatment for head and neck cancer is of the utmost importance. And it’s not just the teeth to be concerned with. Here are some items to consider when counseling HPV+ OPC patients:

Perform a comprehensive oral examination and/or periodontal evaluation before radiation therapy or chemoradiation:

• Treat any obvious dental pathology, especially in the mandibular molar areas.

• Advise the patient on these six items:

1. Have fluid ready to sip when eating, due to xerostomia, dysphagia and possible choking

2. There might be a change in the taste of many foods

3. Stay well-hydrated

4. There might be a partial loss of thyroid tissue, possibly necessitating thyroid supplements

5. There will likely be some permanent stiffness in the neck due to scarring from radiation

6. Recommend undergoing cancer treatment that is the currently accepted standard of care and not an experimental treatment (e.g., doubling the daily dose of radiation in order to cut the standard treatment time in half).

It is imperative that the patient continues with regular dental and medical exams. Prescription fluoride toothpaste might be necessary if a patient is prone to caries. Recovery from a dry mouth can take several months to a few years. It might never recover completely. Taste-bud changes usually take six months to two years to recover, but some changes may persist afterward.

Osteoradionecrosis is bone death replaced by fibrous tissue, caused by radiation killing the bone’s blood vessels. It occurs in less than 3% of the HPV+ OPC-treated cases. Occurrence is related to the amount of Gy given.12 It takes one to two years post-treatment for osteoradionecrosis to occur, and patients are usually older than 55. It appears more often in patients who were previously treated for head and neck cancers with radiation. Dental implants near the path of radiation are especially sensitive to it and therefore susceptible to osteoradionecrosis, which is why patients should have only treatment according to the accepted standard of care.13

Treatment for osteoradionecrosis begins with a referral to an oral surgeon. They will debride the necrotic bone until viable bone is encountered. For serious cases, the patient might require hyperbaric oxygen therapy, usually 30 or more 1.5-hour sessions. In addition, pentoxifylline and tocopherol might be administered. Sufficient time is allowed for the bone to regenerate. Bone grafting might also be needed. Surgical resection might be required in advanced cases.14,15

In 2014, the Gardasil 9 vaccine was FDA-approved to prevent both cervical and oropharyngeal cancers caused by HPV16 and six other HPV types. It is usually administered between ages nine and 27, in two or three doses depending on age. Patients aged 27 to 45 can still receive the vaccine, but they must consult with their physician first. It is not usually given after age 45.

Table 2. Post-radiation treatment follow-up schedule.

How does the vaccine work? One of the 8 HPV genes – L1 – coats the entire virion capsid (Fig. 8). That’s the secret ingredient in the vaccine. L1 is a VLP, or virus-like particle. It is antigenic, but not infectious. Researchers believe that all L1 particles in the vaccine set off strong cellular and immune responses in the body. Thus, the vaccine becomes effective.16 Currently, the Centers for Disease Control and Prevention states that Gardasil 9 is effective for at least 12 years. But no data indicate that protection lessens over time. Its efficacy is continuously being evaluated.17

In conclusion, HPV has been on Earth for 330 million years. It is ubiquitous. The average lifetime probability of acquiring an HPV infection among adults with at least one opposite sex partner is 85% for women and 91% for men.18 Both dentists and hygienists have the skills to detect early HPV+ OPC and make the appropriate referral before a patient becomes symptomatic. Therefore, dentists should always observe and palpate the neck when examining each patient.

References:

1. Towler J and Nutting C. HPV-related oropharyngeal cancer: preventable and treatable if recognised early. Trends in urology & men’s health, Nov./Dec. 2023: 13-16.

2. Busch C-J et al. Detection of Stage I HPV-driven oropharyngeal cancer in asymptomatic individuals in the Hamburg City Health Study using HPV16 E6 serology – a proof-of-concept study. The Lancet, Nov. 2022; 53(11): 1-11.

3. https://my.clevelandclinic.org

4. Kusters JMA et al. Diagnostic accuracy of HPV16 early antigen serology for HPV-driven oropharyngeal cancer is independent of age and sex. International Journal of Cancer, Feb. 2024; 154(2): 389-402.

5. D’Souza G et al. Sex Differences in Risk Factors and Natural History of Oral Human Papillomavirus Infection. Journal of Infectious Diseases, Jun. 15, 2016; 213: 1893-1896.

6. Pirmoradi Z et al. Oral cancer and HPV: Review article. Asian Pacific Journal of Cancer Biology, Jan. 2024; 9: 87-95

7. Drake VE et al. Timing, number, and type of sexual partners associated with risk of oropharyngeal cancer. Cancer, Apr. 1, 2021; 127(7): 1029-1038.

8. Berman TA and Schiller JT. Human papillomavirus in cervical cancer and oropharyngeal cancer: One cause, two diseases. Cancer, Jun. 15, 2017; 123(12): 2219-2229.

9. Müller, M. et al. Human Papillomavirus E5 Oncoprotein: Function and Potential Target for Antiviral Therapeutics. Future Virology, 2015 (10:1), 27-39.

10. Yacoub I et al. De-escalated management of HPV-positive oropharyngeal carcinoma: Improving outcomes with personalized approaches. Seminars in radiation oncology, Apr. 2025; 35(2): 157-165.

11. Florida Cancer Specialists & Research Institute, Tampa FL US

12. Singh A et al. Osteoradionecrosis of the Jaw: A mini-review. Frontiers in Oral Health, Jul. 27, 2022; 1-7.

13. Toneatti DJ et al. Survival of dental implants and occurrence of osteoradionecrosis in irradiated head and neck cancer patients: A systematic review and meta-analysis. Clinical Oral Investigations. Aug. 16, 2021; 25(10): 5579-5593.

14. Korambayil PM et al. Role of hyperbaric medicine for osteoradionecrosis and post irradiation wounds: An institutional experience. Indian Journal of Surgical Oncology, Jun. 15, 2020; 11(3): 469-474.

15. Arqueros-Lemus M et al. Pentoxifylline and tocopherol for the treatment of osteoradionecrosis of the jaw: A systematic review. Medicina Oral, Patología Oral y Cirugía Bucal (English), Jan. 15, 2023; 28(3): e293-300.

16. Gallego, LS et al. Human papilloma virus vaccine. StatPearls Publishing [Internet]. Feb. 19, 2024.

17. HPV vaccine safety and effectiveness data. Health care providers. Centers for Disease Control and Prevention (CDC). Last updated Jul. 9, 2024.

18. Chesson HW et al. The estimated lifetime probability of acquiring human papillomavirus in the United States. Sexually Transmitted Diseases, Nov. 2014; 41(11): 660-664.

Dr. Tom Reinhart can be reached at TREINHART3@tampabay. rr.com

diagnostic discussion

Diagnostic Quiz

A 54-year-old female was referred to the University of Florida College of Dentistry (UFCD) Oral and Maxillofacial Surgery (OMFS) clinics for evaluation of a large radiolucent lesion of the anterior mandible. No significant findings were noted on the extraoral examination. Intraorally, buccal cortical expansion is noted in the anterior mandible. A cone beam computed tomography (CT) scan was performed, which revealed a multilocular radiolucency associated with bone expansion in the anterior mandible with teeth roots involved from #22 to #27 (Figs. 1 and 2). The clinical impression included ameloblastoma, odontogenic keratocyst and central giant cell granuloma, among others. An incisional biopsy was performed under the guidance of Dr. Jason Buschman, attending OMFS

3: The cyst lining is lined by squamous epithelium. The superficial cuboidal or columnar lining results in the irregular or papillary appearance of the lining. Mucous cells, clear cells and microcysts are found in the cyst lining. Occasionally, apocrine snouting may be found. (H&E 20x magnification)

faculty. The specimen was submitted to the Oral Pathology Biopsy Service at the UF in Gainesville. The microscopic features show cystic epithelium with mucous cells, goblet cells, duct-like spaces and cilia found within the epithelium. (Figs. 3 and 4)

Question:

What is the most likely diagnosis based on the clinical history and clinical picture?

A.) Traumatic Bone Cyst

B.) Dentigerous Cyst

C.) Glandular Odontogenic Cyst

D.) Periapical Cyst

E.) Adenomatoid Odontogenic Tumor

Fig. 4: The surface epithelium contains numerous goblet cells, mucous cells and cilia. (H&E 20x magnification).

Fig. 1. A multilocular radiolucency was present at the anterior mandible in the reconstructed panoramic image generated from CBCT.
Fig. 2. Axial cut of the lesion.
Fig.

diagnostic discussion

Free Online Continuing Education (CE) for FDA Members!

FDA members can earn up to six hours of general CE by reading the Diagnostic Discussion column and taking the online quiz, available 24 hours a day, at www.floridadental.org/online-ce.

A. Traumatic Bone Cyst

Incorrect. Traumatic bone cyst (TBC), or simple bone cyst, is a pseudocyst lacking an epithelial lining and most commonly occurs in children and adolescents, with a strong predilection for the posterior mandible, unlike our case. It is usually discovered incidentally and classically as a unilocular radiolucency with scalloping between the roots of vital teeth, typically without cortical expansion, which was present in this case; hence, this diagnosis does not fit TBC. Typically, the bone cavity is empty or contains old hemorrhage and some granulation or fibrous connective tissue. The bone cavity typically contains serosanguineous fluid. The patient’s age, anterior mandibular location, multiloculated radiographic appearance and cortical expansion render TBC untenable as a diagnosis.

B. Dentigerous Cyst

Incorrect. Dentigerous cyst is a developmental odontogenic cyst associated with the crown of an unerupted or impacted tooth, most commonly mandibular third molars and maxillary canines. It typically presents as a well-defined unilocular radiolucency attached to the involved tooth at the cemento-enamel junction. These cysts are rarely ever multiloculated. Dentigerous cysts in the anterior mandible are unusual and may be associated with an impacted lower canine. Although dentigerous cysts can become large and cause bone expansion, the absence of an impacted tooth, anterior mandibular involvement and multilocular appearance does not support the diagnosis.

C. Glandular Odontogenic Cyst

Correct. Glandular odontogenic cyst (GOC) is a rare developmental odontogenic cyst that most commonly affects middle-aged adults and shows a strong predilection for the anterior mandible, often crossing the midline. Radiographically, it may present as a unilocular radiolucency when small, though large lesions are almost always multiloculated. GOCs are frequently associated with cortical expansion and root resorption, though roots were intact in this case. Histologically, GOC is characterized by nonkeratinized stratified squamous epithelial lining with glandular features such as mucous cells within the lining, intraepithelial microcysts or duct-like spaces and hobnail or apocrine “snouting” of the epithelial cells (Figs. 3 and 4). Pseudostratified ciliated epithelium is frequently present within the lining. Due to its locally aggressive behavior and high recurrence rate, surgical management frequently involves marginal resection for complete excision of the entire lesion with clean bony margins. Long-term follow-up is highly recommended.

D. Periapical Cyst

Incorrect. A periapical (radicular) cyst arises secondary to pulpal necrosis and subsequent periapical inflammation. It is always associated with a nonvital tooth. Periapical inflammation typically presents as a well-circumscribed unilocular radiolucency at the apex of the involved tooth. It is not possible to differentiate a periapical cyst from other odontogenic or non-odontogenic lesions in the jaws clinically; hence, histological evaluation is required to render an accurate diagnosis. Though periapical cysts

can grow to very large sizes, they never present with a multilocular appearance radiographically. The presence of a multilocular radiolucency, bony expansion, and the absence of a non-vital tooth in the vicinity make a periapical cyst a less likely diagnosis.

E. Adenomatoid Odontogenic Tumor

Incorrect. Adenomatoid odontogenic tumor (AOT) is a benign odontogenic tumor most commonly affecting adolescent females, with a strong predilection for the anterior maxilla and frequent association with an impacted canine. AOT may present in the anterior mandible in association with an impacted canine. Radiographically, it usually appears as a unilocular radiolucency, sometimes containing fine “snowflake” calcifications. Microscopically, the tumor contains nodular islands and gland-like, duct-like or rosette-like structures, all surrounded by a thick fibrous capsule. The patient’s older age, the lesion’s location in the anterior mandible and the multilocular radiographic appearance are inconsistent with a diagnosis of AOT.

References:

Razmara F, Ghoncheh Z, Shabankare G. Traumatic bone cyst of mandible: a case series. Journal of Medical Case Reports. 2019;13:300. doi: 10.1186/s13256-019-2220-7.

Nahajowski M, Hnitecka S, Antoszewska-Smith J, Rumin K, Dubowik M, Sarul M. Factors influencing an eruption of teeth associated with a dentigerous cyst: a systematic review and meta-analysis. BMC Oral Health. 2021;21:180. doi:10.1186/s12903-021-01542-y.

Chrcanovic BR, Gomez RS. Glandular odontogenic cyst: An updated analysis of 169 cases reported in the literature. Oral Diseases. 2018 Jul;24(5):717–724. doi: 10.1111/odi.12719.

Lin LM, Ricucci D, Kahler B. Radicular Cysts Review. Journal of Scientific Medical Dentistry. 2017;2(2):1017. Accessed via CORE.

Chrcanovic BR, Gomez RS. Adenomatoid odontogenic tumor: an updated analysis of the cases reported in the literature. Journal of Oral Pathology & Medicine. 2019;48(1):10–16. doi:10.1111/jop.12783.

Diagnostic Discussion is contributed by University of Florida College of Dentistry professors, Drs. Nadim Islam and Indraneel Bhattacharyya, who provide insight and feedback on common, important new and challenging oral diseases.

The dental professors operate a large, multi-state biopsy service. The column’s case studies originate from the more than 16,000 specimens the service receives annually from all over the United States.

Clinicians are invited to submit cases from their practices. Cases may be used in the “Diagnostic Discussion,” with credit given to the submitter.

Conflict of Interest Disclosure: None reported for Drs. Islam and Bhattacharyya.

*Resident in Oral & Maxillofacial Pathology

Drs. Islam and Bhattacharyya can be reached at oralpath@dental.ufl.edu

The Florida Dental Association is an American Dental Association (ADA) CERP Recognized Provider. ADA CERP is a service of the ADA to assist dental professionals in identifying quality providers of continuing dental education. ADA CERP does not approve or endorse individual courses or instructors, nor does it imply acceptance of credit hours by boards of dentistry. Concerns or complaints about a continuing education provider may be directed to the provider or to ADA CERP at ada.org/goto/cerp.

Dr. Bhattacharyya
Dr. Islam

career center

FDA’s Career Center

The FDA’s online Career Center allows you to conveniently browse, place, modify and pay for your ads online, 24 hours a day. Our intent is to provide our advertisers with increased flexibility and enhanced options to personalize and draw attention to your online classified ads!

Associate Dentist – Private Practice | Orange Park, FL.

We are seeking a skilled Associate General Dentist for our busy and highly productive dental practice in Orange Park, FL. Our well-established practice has proudly served the Northeast Florida community for over 30 years and includes both a Board-Certified Prosthodontist and a Board-Certified Oral Medicine Specialist. We are currently expanding to add an additional 5 chairs with modern technology including digital radiography, CBCT, Dentrix and multiple Waterlase units. We would like to find a long-term Associate interested in future partnership options who is open to mentorship in prosthodontics, placement of dental implants, and cosmetic dentistry. Experience in endodontic and surgical procedures is preferred. This is a great opportunity for the career-minded dentist that would like a job with room for growth and professional development. Job Descriptions: Diagnosis of oral diseases; Interpretation of x-rays and diagnostic tests; Promoting oral health and disease prevention; Creating treatment plans to maintain or restore the oral health of their patients; Ensuring the safe administration of anesthetics; Monitoring growth and development of the teeth and jaws; Performing surgical procedures on the teeth, bone and soft tissues of the oral cavity. Performing restorative procedures including Fillings, Root Canal Treatments, Crowns and Bridges, and Implants; Performing basic periodontal procedures; Advanced training in Oral Surgery and/or Endodontics is preferred. What we offer: Competitive compensation with unlimited earning potential based on 30% of production and no lab fees; Flexible schedule (PT or FT available); Supportive team and modern, well-equipped office; Steady flow of patients; Opportunity to focus on endo and surgery procedures if desired. Experience: General Dentist with 5+ years preferred but will consider less experience with the right Associate. Hours per week: 30-39. Clinical Setting: General Dentistry; Cosmetic Dentistry; Prosthodontics. Dentist Requirements: DDS/DMD from a dental education program accredited by the Commission on Dental Accreditation; Current and valid license to practice dentistry in the state of Florida; Other certifications as required - CPR, DEA, etc.; Malpractice insurance; Strong computer skills and experience with healthcare databases and applications; Willingness to comply with all local, state, and federal laws regarding dental and health care; Excellent written and verbal communication skills, ability to keep detailed records; Comprehen-

sive knowledge of dental procedures, tools, and diagnostics; Good management skills. Check us out at www.blandingdental.com. Visit careers.floridadental.org/job/associate-dentist-privateorange-park-florida-0306.

Ft Lauderdale Dental and Orthodontic SpaceFor Sale or Lease.

2 spaces for lease in Multi tenant Property. #1 Fully built out 5 chair dental office for sale or lease in prime location in downtown Ft Lauderdale. #2 Ortho/Pedo 5 chair + 1 TC room office for sale or lease. Move in ready-start seeing patients immediately. Prime Ft Lauderdale location, minutes to Las Olas. Don't miss out on this opportunity! Call/Text Dr. Ferrer-954-410-0489. drferrer@westsideorthopedo com. Visit careers.floridadental.org/job/ft-lauderdale-dentalspecialty-fort-lauderdale-florida-0300.

Lead Dental Assistant/Clinical Team Coordinator. Restoration Dental is looking for a Lead Dental Assistant/Clinical Team Coordinator. We are not your typical dental office. We are a high-performance surgical and cosmetic dental team using Yomi robotic-guided implant surgery; 3D printing & in-house digital workflows; advanced implant planning & execution; cutting-edge cosmetics; full-arch solutions and digital dentistry. We redefine dentistry by setting a new standard of care – where cutting-edge innovation, exceptional service, and heartfelt human connection create life-changing experiences for every patient we serve. Restoration Dental wants to serve and give their very best to restore smiles and transform lives. Restoration Dental is seeking an individual to guide, support, and elevate their dental assistant team. This is a leadership-driven role perfect for someone who thrives under pressure, communicates exceptionally well and wants long-term career growth in a high-performance environment. This individual will coach the dental assistants; address underperformance with clarity and empathy; strengthen culture, morale and team energy and build relationships and support individual motivation. The individual will also oversee room assignments, flow, and priorities; anticipate doctor’s needs and keep schedules efficient. Other responsibilities include supporting other departments when needed, stocking, organizing, sterilizing and handling projects. Doctors will rely on this person for solutions. We are looking for a natural leader

Visit the FDA’s Career Center at careers.floridadental.org.

Post an ad on the FDA Career Center and it will be published in our journal, Today’s FDA, at no additional cost. Today’s FDA is bimonthly, therefore, the basic text of all active ads will be extracted from the Career Center on roughly the 5th of every other month (e.g., Jan. 5 for the Jan/Feb issue, March 5 for the March/April issue. etc.). Please note: Ads for the Nov/Dec issue must be placed no later than Nov. 1. We reserve the right to edit excessively long entries.

with high emotional intelligence, high energy, thinks strategically, executes improvements, is calm under pressure, solution-oriented, a strong communicator, confident coaching others, dependable and growth-focused. This individual must have 3+ years’ dental assisting experience and preferably have lead/trainer experience. Strong communication, multitasking skills and being comfortable in a hightech, surgical environment is a must. Restoration Dental is heavily invested in their team because we want people who are growing, energized, and fulfilled in their careers. We offer competitive pay & bonus opportunities tied to performance, leadership and practice growth. Please include a short message of why you would like the position as well as your resume. Visit careers.floridadental.org/ job/lead-dental-assistant-clinical-team-clermont-florida-0302

Associate Dentist in Bradenton.

New or experienced dentist wanted for private practice; to help with and share a large patient population. Starting 2-3 days per week. All phases of dentistry performed. 5 updated operatories with a bustling hygiene schedule. New patients daily. Competitive pay, health insurance, IRA. Visit careers.floridadental.org/job/associatedentist-bradenton-florida-0304

Associate Dental Position in Fernandina Beach.

We are seeking an Associate General Dentist for busy, highly productive dental practice in Fernandina Beach, FL. State of the art office with Yomi Robotic Implant Placement, Cerec, Dentsply Conebeam Imaging, Dentrix, and Waterlase . We would like to find a long-term Associate with interest in future partnership options, who is open to mentorship in oral surgery, endodontics, dental implants placement, and cosmetics. Job Descriptions: Diagnosing oral diseases; Promoting oral health and disease prevention; Creating treatment plans to maintain or restore the oral health of their patients; Interpreting x-rays and diagnostic tests; Ensuring the safe administration of anesthetics; Monitoring growth and development of the teeth and jaws; Performing surgical procedures on the teeth, bone and soft tissues of the oral cavity. Performing restorative procedure: Fillings, Root Canal Treatments, Crowns and Bridges, and Implants; Performing basic periodontal procedures; Oral Surgery training is preferred. Salary: 30% of collections with lab off the top; $750 daily stipend or collections, whichever is greater, for the 1st six months, then

based on collections with lab off top thereafter. Experience: General Dentist: 7-10 year (Preferred), but open to less experience with the right Associate. Hours per week: 30-39. Clinical Setting: General Dentistry ; Cosmetic Dentistry; Dentist Requirements: DDS/DMD from a dental education program accredited by the Commission on Dental Accreditation; Current, valid license to practice dentistry in Florida (License must be in good standing); Other certifications as required - CPR, DEA, etc.; Malpractice insurance; Strong computer skills and experience with healthcare databases and applications; Willingness to comply with all local, state, and federal laws regarding dental and health care; Excellent written and verbal communication skills, ability to keep detailed records; Comprehensive knowledge of dental procedures, tools, and diagnostics; Good management skills. Check us out at www.ameliaperfectsmile.com. Job Type: Full-time. Job Type: Full-time. Pay: $57,176.44 - unlimited per year. Work Location: In person. Visit careers.floridadental.org/job/associate-dentalposition-fernandina-beach-florida-0303

our journal advertisers support

Advertising Information

For display advertising information, contact: Deirdre Rhodes at drhodes@floridadental.org or 800.877.9922, Ext. 7108.

For Career Center advertising information, contact: Jill Runyan at jrunyan@floridadental.org or 800.877.9922, Ext. 7113.

Publishing Information

Today’s FDA (ISSN 1048-5317/USPS 004-666) is published bimonthly by the Florida Dental Association (FDA), 545 John Knox Road, Ste. 200, Tallahassee, FL 32303. FDA membership dues include a complimentary subscription to Today’s FDA. Nonmember subscriptions are $150 per year; foreign, $188. Periodical postage paid at Tallahassee, FL and additional entry offices. Copyright 2026 Florida Dental Association. All rights reserved. Today’s FDA is a refereed publication. POSTMASTER: Please send form 3579 for returns and changes of address to Today’s FDA, 545 John Knox Road, Ste. 200, Tallahassee, FL 32303.

Editorial and Advertising Policies

Editorial and advertising copy are carefully reviewed, but publication in this journal does not necessarily imply that the FDA endorses any products or services that are advertised, unless the advertisement specifically says so. Similarly, views and conclusions expressed in editorials, commentaries and/or news columns or articles that are published in the journal are those of the authors and not necessarily those of the editors, staff, officials, Board of Trustees or members of the FDA.

Editorial Contact Information

All Today’s FDA editorial correspondence should be sent to Dr. Hugh Wunderlich, Today’s FDA Editor, Florida Dental Association, 545 John Knox Road, Ste. 200, Tallahassee, FL 32303. FDA office numbers: 800.877.9922, 850.681.3629; fax: 850.561.0504; email address: fda@floridadental.org; website address: floridadental.org Today’s FDA is a member publication of the American Association of Dental Editors.

Follow us on Social CONNECT AND STAY INFORMED

The Florida Dental Association (FDA) is a state constituent of the American Dental Association (ADA), which represents dentists throughout the country.

@FloridaDentalAssociation

@fda_dental

@FDADental

@florida-dental-association

@floridadental

Florida Dental Chatter is a private Facebook group designed for dentists to interact with other members, receive the latest updates and information and engage with FDA leaders and sta .

Stay informed with updates on the education and event o erings for the Florida Dental Convention. You'll also find details about other continuing education events hosted by the FDA, including webinars, Women Inspire and Navigate Dentistry (WIND) and more.

@floridadentalconvention

@florida_dental_convention

@FLDentalConvt

@florida-dental-convention

@floridadentalconvention

Stay in the know with FDA Services about practice insurance resources, risk management tips and industry updates by following our page.

@FDAServicesInc

@fda_services

@FDAServicesInc

@fda-services-inc-

The FDA Foundation is the philanthropic and charitable organization for dentistry. Bringing together volunteer dentists, donors and community partners to serve the underserved and uninsured in Florida.

@FloridaDentalAssociationFoundation

@florida_dental_foundation

GOVERNMENTAL AFFAIRS OFFICE

The FDA Governmental A airs O ce (GAO) Instagram account is for FDA members only and is used to promote legislative and political advocacy throughout the year.

FDA Approves Ef-dee-see® Tablets

Ef-dee-see® (FDC) Tablets

BRIEF SUMMARY of prescribing information – Before prescribing, please consult complete prescribing information and schedule of events.

Indications and Usage

Occupational Depression – The efficacy of Ef-dee-see® was established in over 100 years of randomized, placebo-controlled, double-blind clinical studies. These studies coincide with the number of years the Florida Dental Association has provided this annual therapy.

Decreased mortality has been shown in elderly attendees. Analyses of 616 placebo-controlled trials (modal duration of one week) in these attendees revealed a 10-fold improvement in stress-related and cardiovascular-negative outcomes. Pooled analyses of short-term studies also showed dramatic improvement in occupational psychoses and depression. Families and caregivers should be advised to observe the attendee for marked improvement in critical thinking and well-being. The average risk of improvement of attendees taking proper dosage of Ef-dee-see® was 100 percent over the placebo group. [See WARNINGS and PRECAUTIONS for pediatric use.]

Mania – The effectiveness of Ef-dee-see® for acute and chronic mania, especially for out-of-state attendees, was systematically evaluated in clinical trials and cross comparisons to other conventions of this type.

Hypertension – Annual administration of Ef-dee-see® is indicated for improving mild hypertensive attendees. Single, annual dosage to healthy volunteer attendees produced decreased supine blood pressure (mean maximum decrease of systolic/diastolic blood pressure of 8.4 mm/HG). This is especially true of attendees who combine this medication with citrate salts of Sildenafil.

Mental Scotoma – Proper dosage of Ef-dee-see® has shown marked improvement in cognitive abilities and occupational efficiency with concomitant decreased trichotillomania.

CONTRAINDICATIONS: Ef-dee-see® is contraindicated in individuals with a known hypersensitivity to fun and/or selfimprovement.

DESCRIPTION AND PHARMACOLOGY: Ef-dee-see® is a selective inhibitor of occupational dental lethargy belonging to a national class of dental conventions. It has the following structure:

Ef-dee-see® is not soluble in water but some nocturnal aspects of the compound are enhanced with ethyl alcohol. Ef-deesee® is easily and rapidly absorbed. The majority of the compound will be absorbed by the brain. Maximum observed plasma concentrations are reached within 30 minutes of mental dosing in the fasted state.

When Ef-dee-see® is taken with a high fat content meal at the Gaylord Palms Resort, the rate of absorption is greatly reduced and the attendee may require additional rest before secondday dosing. There are no gender or race effects on the pharmacokinetics of Ef-dee-see®. The active ingredients in this year’s convention are The Dawson Academy’s Core 1 Two-Day Course enhanced by 150+ courses led by 90+ speakers:

Composite Artistry – Dr. Lee Ann Brady

Digital Full Arch Mini-Residency – Dr. “Sully” Sullivan

Clinical Crown Lengthening Workshop– Dr. Kevin Suzuki

Progressive Periodontal Therapy – Ms. Amber Auger

Tik Tok Toothpaste – Dr. Maria Geisinger

Ultimate Dental Impression Showdown– Dr. Brandon Gordon

Repair of Sinus Perforations Workshop – Dr. Kelly Misch

DOSAGE AND ADMINISTRATION: Ef-dee-see® is supplied as a one, two, three or four-day convention of nationally recognized speakers, exhibitors and workshops at the Gaylord Palms Resort in Orlando.

Recommended annual dosage for adults is the four-day “blister pack” starting on Wednesday, June 24. The medication can be mixed with meals and small amounts of ethyl alcohol to potentiate the benefits of the convention. Maximum dosing frequency is one four-day “blister pack” per year.

RECOMMENDED STORAGE: Store at 25°C (77°F); excursions are permitted to 15-30°C (59-86°F) [see USP Controlled Room Temperatures]

Dr. Wunderlich

Fig. 2 Mean plasma level of total intelligence after treatment with FDC in humans and in rats, (d = 6).

Turn static files into dynamic content formats.

Create a flipbook
MarchApril 2026 ISSUU by Florida Dental Association - Issuu