Skip to main content

Arrhythmia news 049

Page 1

Arrhythmia News

發行人: 溫明賢 (Ming-Shien Wen)

發行單位: 中華民國心律醫學會 (Taiwan Heart Rhyrhm Society)

地址: 10041台北市中正區忠孝西路一段50號25樓之18

本期摘要

P1. 2022 APHRS Late Breaking Clinical Trials

P5. ECG of the Month

P9. The Review of Current Progress of Conduction System Pacing

P12. The Review of Current Progress of Leadless Pacemaker

P14. 2023 台灣心律學會(THRS)聯合亞太心律峰 會(APHRS Summit)與會心得

總編輯

電話:

傳眞:

網址:

886-2-23821530

886-2-23821528

www.thrs.org.tw

ISSN: 2223-0130

林文裕 Wen-Yu Lin 劉言彬 Yen-Bin Liu

本期主編

劉至民 Chih-Min Liu 莊再庚 Chye-Gen Chin

編輯

陳建鈞 Jien-Jiun Chen 黃鼎鈞 Ting-Chun Huang

張耀庭 Yao-Ting Chang 顏琨麒 Kun-Chi Yen

林柏霖 Po-Lin Lin 廖敏村 Min-Tsun Liao

APHRS 2022 Late Breaking Clinical Trials

2022 年在新加坡舉辦的 APHRS ,有兩場 late breaking clinical trials 。有四個研究在第一場發表,分 別為: Cryo Global Registry 韓國心房顫動以冷凍氣球 治療的兩年期報告 (two-year outcome of cryoballoon AF ablation in Korea: results from the Cryo Global Registry)、 MIYABI registry 以 Visitag Surpoint 輔助心房顫動電燒

的短期與長期結果 (acute and long-term outcomes of ablation for atrial fibrillation with Visitag Surpoint: the MIYABI registry) 、 Amulet IDE 左心耳封堵器的三年結 果 (3-year outcomes from the Amplatzer Amulet left atrial appendage occluder randomized controlled trial [Amulet IDE]) 、 STEER-CLOSE Study 使用可控導鞘放置左心 耳封堵器 (impact of steerable delivery sheaths on successful closure of LAA with AMULET [STEERCLOSE Study]) 。以下分別介紹。

1. Two-year outcome of cryoballoon AF ablation in Korea: results from the Cryo Global Registry

Cryo Global Registry 是個仍在進行中、全球性、 多中心、觀察性的上市後追蹤研究 (post-market registry) ,目的是評估心房顫動冷凍燒灼術在全球的 臨床上的執行效果與安全性;每個病人計畫追蹤 24 個 月。預計總共要在全球 158 家醫院收錄 5000 位病人。

韓國從 2019 年四月到 2020 年五月共收錄 299 個病人。

在韓國資料中,治療一年後沒有心房顫動復發的 比例為 84% ( 陣發性心房顫動病人 ) 與 62% ( 持續性心房 顫動病人 ) ,治療一年後沒有任何心房心律不整脈復發 的比例為 75% ( 陣發性心房顫動病人 ) 與 57% ( 持續性心

房顫動病人 ) 。

APR. 2023 NO.049
林口長庚紀念醫院
沃宏達醫師

韓國兩年期的報告中,有 2 件嚴重併發症,分別

是血腫與偽動脈瘤,還有 1 件因為後期再執行高頻電 燒術導致的房室傳導阻斷。治療導致的嚴重事件兩年

期機率為 0.7% 。心房心律不整兩年期無復發比例在陣

發性心房顫動病人為 75.3% 、持續性心房顫動為 57.6%

Atrial Arrhythmia Recurrence

。心房心律不整脈兩年期無復發比例在陣發性心房顫 動病人為 71.9% 、持續性心房顫動為 49.3% 。

綜合上述效果與安全性,心房顫動冷凍燒灼術對 於陣發性心房顫動與持續性心房顫動病人皆為有效與 安全的治療方式。

2. Acute and long-term outcomes of ablation for atrial fibrillation with Visitag Surpoint: the MIYABI registry

Visitag Surpoint導引之心房顫動電燒灼術在歐美已 被證實是有效的治療方式,但是亞洲的資料闕如。

Visitag Surpoint模組可以依據電燒導管穩定度與接觸力 (contact force) 自動標記電燒灼點,並依據電燒能量、 接觸力、電燒時間給予各點名為 Ablation Index 的數 值。

MIYABI registry是評估在日本執行Visitag Surpoint 導引之心房顫動電燒灼術臨床結果的追蹤研究。此計 畫從 2020 年一月到 2022 年五月,於 50 家醫院收錄 1011 位未曾接受心房顫動燒灼術的病人。心房顫動電燒灼 術於肺靜脈隔離 (PVI isolation) 時使用Visitag Surpoint

導引,使用 CARTO 3 系統,電燒導管使用 Thermocool Smarttouch系列。Visitag Surpoint依據各執行醫師有不 同設定。

目前收錄 1011 位病人,共有 943 位病人已完成追 蹤。平均接觸力為 13.4 克,平均能量為 38.4 瓦。前方 ablation index平均為428.8,後方的ablation index平均為 400.4。術後99.7%的病人皆完成肺靜脈隔離。心房心律 不整脈一年期無復發比例為88.5% 。心房顫動一年期無 復發比例在陣發性心房顫動病人為 88.5%、持續性心房 顫動為88.7%。嚴重不良事件發生率為0.9%。

總結一年期結果顯示,Visitag Surpoint導引之心房 顫動電燒灼術在亞洲族群亦為有效且安全的治療方 式。

中華民國心律醫學 會 Taiwan Heart Rhythm Soclet y 中華民 國 11 2 年 4 月出刊 NO.049 2

Recurrence-free rates for AF/AT/AFL

3. 3-year outcomes from the Amplatzer Amulet left atrial appendage occluder randomized controlled trial (Amulet IDE)

Amulet IDE trial是比較Amulet與Watchman左心耳 封堵器的差異的研究。一年期的結果已經發表過,這次 是發表3年期的結果。三年期共有934位病人接受Amulet 左心耳封堵器放置,944位病人接受Watchman左心耳封 堵器放置。放置三年後,仍在使用口服抗凝血劑的病人

在 Amulet 組為 3.7% 、 Watchman 組為 7.3% 。這可能和

Watchman 裝置有較高的滲漏率與裝置相關血栓發生率 有關。三年期發生中風、全身性血栓、或心血管死亡的 機率在 Amulet 組為 11.1% 、 Watchman 組為 12.7% , P 值 為 0.31 。但是 Watchman 有較高的裝置相關血栓 (device-related thrombus) 與裝置周邊旁滲漏 (peridevice leakage) 率。

此資料顯示Amplatzer Amulet左心耳封堵器即使到 第三年結束仍有相當好的療效與安全性。

Composite Rates of Stroke/Systemic Embolism/CV Death at 3 Years are Comparable

中華民國心律醫學 會 Taiwan Heart Rhythm Soclet y 中華民 國 11 2 年 4 月出刊 NO.049 3

4. Impact of steerable delivery sheaths on successful closure of LAA with AMULET (STEER-CLOSE Study)

裝置周邊滲漏 (peridevice leakage) 是左心耳封堵 器裝置過程的很重要的問題,以食道超音波追蹤的結 果看來,其發生率約在 10.5% 到 40.9% 之間。滲漏率與 術後中風發生率、全身血栓發生率有關。如何減少裝 置周邊滲漏率是非常重要的議題。因為解剖構造的差 異,利用可控導鞘來放置左心耳封堵器可以讓裝置更 加對準左心耳的方向,有機會減少裝置周邊滲漏率

STEER-CLOSE study 是多機構的觀察性研究,比 較使用可控導鞘放置 Amplatzer Amulet 是否相較於使

Primary Outcomes

用傳統不可控導鞘,可以降低裝置周邊滲漏率,並減 少術後 7 天內與 45 天內的併發症、中風與死亡的機 率。兩組各收錄 245 位病人。

結果顯示可控導管可以明顯地減少術後 7 天內的 心包膜積液的發生率 (0.8% vs. 5.1%) ,但是對於裝置 周邊滲漏率的影響沒有明顯差異。術後 45 天內發生小 尺寸的裝置周邊滲漏率 (<3mm) 在可控導鞘組較低 (0.9% vs. 3.2%) 。而重新放置裝置的次數在可控導鞘 組也較低 (1.12 次 vs. 1.96 次 ) 。

此研究結果顯示可控導鞘可以輔助左心耳封堵器 對準左心耳的解剖構造,有助於減少術後 7 天內與 45 天內的併發症。

中華民國心律醫學 會 Taiwan Heart Rhythm Soclet y 中華民 國 11 2 年 4 月出刊 NO.049 4

A difficult posterior septal accessory pathway ablation in

a 13-year-old teenager

台中榮民總醫院兒童心臟科 莊傑貿醫師

一位 13 歲女性,從她在母親的子宮裡時就開始有 陣發性心搏過速,出生後也常常因為心搏過速被帶來

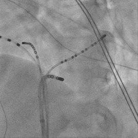
急診室, 3 歲時發作的 12 導程心電圖為 short RP narrow QRS tachycardia ( 圖一、發作時 ) ,因 RP interval 為 120 ms,orthodromic AVRT的可能性較大,retrograde P wave 的型態為I: +/-, II/III/aVF: -, V1: +,delta RP interval of III and V1: 0 ms ,根據 Tai et al. 的研究可以推論可能是 concealed posterior septal accessory pathway(1)。使用 adenosine後,tachycardia可以被矯正回sinus rhythm (圖 二、沒發作時 ) 。自出生後就一直服用 betablocker ,但 仍時常發作,因此在 13 歲時,我們安排了心導管電生 理檢查, RV burst pacing 時最早的 retrograde atrial activation是CS ostium,PAC時會誘發tachycardia (TCL: 446 ms) with the same retrograde atrial activation (concentric) when RV burst pacing (圖三),Ventricular overdrive pacing during tachycardia呈現VAV response with SA-VA of 48 ms and PPI-TCL of 72 ms (圖四),在 VOP 時 fusion beat can reset the next A ( 圖五 ) , Hisrefractory VPC can reset the next A (圖六),在tachycardia 時有出現RBBB pattern也沒有延長TCL (圖七),Antegrade conduction 經由 fast AVN ,綜合以上判斷 orthodromic

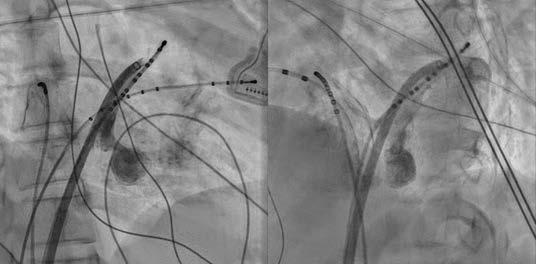
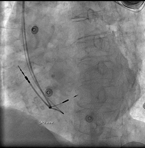
AVRT with concealed left posterior septal AP,於是在RV pacing時,我們先從RPS region開始mapping沒有發現有 VA fusion site,然後我們就到retrograde transaortic到LPS region mapping也沒有找到VA fusion的位置,接著我們 的電燒導管在 CS 裡 mapping 時突然掉進 MCV ,這裡發

現有VA fusion (圖八),由於可能很靠近coronary artery

擔心用 RF ablation 會造成 coronary artery stenosis or occlusion(2) ,我們在 ablation 前有先做 coronary angiogram (圖九),coronary artery離VA fusion site都有超 過5 mm,所以我們就使用7F non-irrigated RF catheter在 MCV VA fusion site進行ablation,但是沒有效果,接著 我們做了 CS venogram 發現有一個 CS diverticulum 在 MCV (圖十)(3),我們就把電燒導管移到diverticulum的 neck ( 圖十一 ) ,可以看到 VA fusion ,在 RV pacing 下 50W/50oC 電燒一開始 0.7 秒就 VA block ( 圖十二 ) ,接著 RF booster 120 seconds,post-ablation EP study只有看到 在 V pacing 時有 one fast-slow echo beat , antegrade conduction 有 dual AVNs ,但無法誘發任何 AVNRT or AVRT。病患接受完電燒後,沒有再有心悸的症狀。 (圖一)、發作時12 lead ECG (圖二)、12 lead ECG after adenosine use

中華民國心律醫學 會 Taiwan
Soclet y 中華民 國 11 2 年 4 月出刊 NO.049 5
Heart Rhythm

(圖三)、PAC induced tachycardia

(圖四)、Ventricular overdrive pacing during tachycardia

(圖五)、VOP reset the next A during fusion beat

中華民國心律醫學 會 Taiwan Heart Rhythm Soclet y 中華民 國 11 2 年 4 月出刊 NO.049 6

(圖六)、His-refractory VPC reset the next A

(圖七)、RBBB during tachycardia did not prolong TCL

(圖八)、VA fusion when tachycardia in MCV

中華民國心律醫學 會 Taiwan Heart Rhythm Soclet y 中華民 國 11 2 年 4 月出刊 NO.049 7

)、冠狀動脈攝影

)、冠狀竇攝影發現

)、VA block within 1 second during RF ablation when RV pacing

Reference:

1. Tai CT, Chen SA, Chiang CE, Lee SH, Wen ZC, Chiou CW, et al. A new electrocardiographic algorithm using retrograde P waves for differentiating atrioventricular node reentrant tachycardia from atrioventricular reciprocating tachycardia mediated by concealed accessory pathway. J Am Coll Cardiol. 1997;29(2):394-402.

2. Stavrakis S, Jackman WM, Nakagawa H, Sun Y, Xu Q, Beckman KJ, et al. Risk of coronary artery injury with radiofrequency ablation and cryoablation of epicardial posteroseptal accessory pathways within the coronary venous system. Circ Arrhythm Electrophysiol. 2014;7(1):113-9.

3. Sun Y, Arruda M, Otomo K, Beckman K, Nakagawa H, Calame J, et al. Coronary sinus-ventricular accessory connections producing posteroseptal and left posterior accessory pathways: incidence and electrophysiological identification. Circulation. 2002;106(11):1362-7.

(圖九 (圖十一)、X光透視成功電燒的位置在diverticulum neck及3D圖上的成功位置 (圖十二 (圖十 CS diverticulum
中華民國心律醫學 會 Taiwan Heart Rhythm Soclet y 中華民 國 11 2 年 4 月出刊 NO.049 8

The Review of Current Progress of Conduction System Pacing

國立陽明交通大學附設醫院 鄭文涵醫師/黃嵩豪醫師

近年來隨著技術與觀念演進,生理節律性心臟節

律器 (conduction system pacing) 漸漸受到重視,目前

的範疇包括 His-Purkinje 傳導系統心臟調節。生理節律 性心臟節律器能夠使得左心室活化更符合生理。過去 二十年,生理節律性心臟節律器僅限於左右心室的雙

腔同步心臟節律器 (bi-ventricular pacing) 。傳統上, 右心室心臟節律器 (right ventricular pacing) 一直是治 療症狀性心律過緩的標準方法,然而此項方式會導致 左右心室去極化不同步,進而導致左心室功能不全和 心臟衰竭。此外,過去研究證實右心室心臟節律器會 顯著增加心臟衰竭住院率和心房顫動的發生。因此, 長期的右心室心臟節律器可能會對左心室功能不全的 患者產生有害影響。理論上,右心室中膈心臟節律器 (right ventricular septal pacing) 可能與正常房室傳導類 似,具有生理性的心室活化。然而,右心室中膈心臟節 律器未顯示出對左心室功能的保護作用,相比於右心室

心尖心臟節律器 (right ventricular apical pacing) 也沒有顯 著的優勢。因此針對生理節律性心臟節律器的研究探討 漸漸趨向於希氏束 (His bundle pacing) 或是左束支區域 心臟節律器 (left bundle branch area pacing) 的研究。

在 2000 年,在左心室射出率降低、持續性心房顫 動和正常 His-Purkinje 傳導活性的患者中,希氏束心臟

節律器首次被證實用作永久性心臟節律器可以顯著改 善了左心室收縮功能。自此之後,希氏束心臟節律器 的永久性應用漸漸獲得重視。然而,隨著經驗累積, 希氏束心臟節律器的缺點主要包含高閾值和對於異常 的 His-Purkinje 傳導系統仍然無法達到預期的效果。由 於這些因素,近年來,左束支區域心臟節律器逐漸開 始獲得重視並取代希氏束心臟節律器。

2017 年,左束支區域心臟節律器的應用首次被證 實在患有左束支傳導阻滯 (left bundle branch block) 的 病人。在這些病人中, 3830 導線被植入左心室中膈以 捕捉左束支阻滯位的部位。一般而言,左束支區域心 臟節律器包括左束支心臟節律器和左心室中膈心臟節 律器。與右心室心臟節律器相比,左束支區域心臟節 律器改善了死亡率、心臟衰竭住院率及需要升級為雙 腔同步心臟節律器的機率。

在筆者服務的醫院流程,對於希氏束心臟節律器 或是左束支區域心臟節律器的置放都是使用 C315 導管 與 3830 導線。由於希氏束心臟節律器的種種限制,左 束支區域心臟節律器的置放較為普及。當 3830 導線在 放射線導引下置放於左心室中膈時,首先會觀察是否 有記錄到左束支訊號 (left fascicular potential) ( 圖一 ) 。

(圖一)
國 11 2 年 4 月出刊 NO.049 9
中華民國心律醫學 會 Taiwan Heart Rhythm Soclet y 中華民

另外在該位置進行電擊刺激,倘若能夠於 V1 導程記錄

到以V1波的谷底為中心,呈現典型的"w" 形圖案則更加

確認最理想的位置。除了電生理表現外,在左前斜視

角 (left anterior oblique) 的放射線影像下,我們也會確

認 3830 導線是否垂直於心室中膈與注射顯影劑以評估

3830 導線進入心室中膈的深度 ( 圖二 ) 。左束支傳導心

臟節律器心電圖如 ( 圖三 ) 所示,節律器術後追蹤時於 部分病人可見fascicular potential確認有bundle capture。

(圖四)

(圖二) (圖三) (圖四) 中華民國心律醫學 會 Taiwan
中華民 國 11 2 年 4 月出刊 NO.049 10
Heart Rhythm Soclet y

根據過往研究顯示,理想的左束支區域心臟節律

器必須符合以下幾點: 1. 左束支訊號的存在,且從左

束支訊號到 R 波頂在 V6 導程中的間隔等於 V6 中的刺激

到 R 波頂時間 (R wave peak time) ; 2. 在刺激輸出下降

時,發生從非選擇性到選擇性左束支捕捉轉變; 3. 希氏束的逆行性傳導活化; 4. 在導線置放期間, V6 導 程的刺激到 R 波頂時間突然縮短,然後變得短而穩 定; 5. 較長的 V6 和 V1 導程的 R 波頂時間差; 6. 較短的 刺激到 R 波頂時間。

值得注意的是,雖然生理節律性心臟節律器有諸 多優勢,仍然有些限制的存在。其中討論廣泛的是在 12 導程心電圖上呈現左束支傳導阻滯的患者中,存在 著異質性的心室間隔傳導,亦即從沒有明顯的阻滯到 完全阻滯都有可能出現。另外,當出現阻滯時,過往

的研究觀察到最有可能病變的位置在左側希氏束內。

因此 12 導程心電圖上的左束支傳導阻滯並不能完全預 測阻滯的位置,心臟內的電氣訊號 (intracardiac electrogram) 或許可以提供更多資訊並增加生理節律性 心臟節律器的效果。

此外,生理節律性心臟節律器也漸漸的應用於心 臟衰竭的治療。目前為止,左右心室的雙腔同步心臟 節律器仍是心臟衰竭的重要治療。然而隨著生理節律 性心臟節律器的發展,越來越多的研究投入在生理節 律性心臟節律器與心臟衰竭治療的效果。

總結而言,隨著工具和技術的進一步發展,或許 能提高生理節律性心臟節律器的治療效果。我們也期 待在未來的隨機臨床試驗中,能有越來越多的研究多 方評估和證明生理節律性心臟節律器的功效。

參考文獻

1. Connolly SJ, et al. Effects of physiologic pacing versus ventricular pacing on the risk of stroke and death due to cardiovascular causes. Canadian Trial of Physiologic Pacing Investigators. N Engl J Med. 2000;342:1385-91.

2. Sweeney MO, et al. Adverse effect of ventricular pacing on heart failure and atrial fibrillation among patients with normal baseline QRS duration in a clinical trial of pacemaker therapy for sinus node dysfunction. Circulation 2003;107:2932-7.

3. Toff WD, et al. Single-chamber versus dual-chamber pacing for high-grade atrioventricular block. N Engl J Med 2005;353:145-55.

4. Kaye GC, et al. Effect of right ventricular pacing lead site on left ventricular function in patients with high-grade atrioventricular block: results of the Protect-Pace study. Eur Heart J. 2015;36:856-62.

5. Deshmukh P, et al. Permanent, direct His-bundle pacing: a novel approach to cardiac pacing in patients with normal HisPurkinje activation. Circulation 2000;101:869-77.

6. Huang W, et al. A Novel Pacing Strategy With Low and Stable Output: Pacing the Left Bundle Branch Immediately Beyond the Conduction Block. Can J Cardiol. 2017;33:1736.e1-1736.e3.

7. Wu S, et al. Evaluation of the criteria to distinguish left bundle branch pacing from left ventricular septal pacing. J Am Coll Cardiol EP 2021;7:1166-77.

8. Jastrz bski M, et al. Physiology-based electrocardiographic criteria for left bundle branch capture. Heart Rhythm 2021;18:935-43.

9. Shimeno K, et al. Characteristics and proposed mechanisms of QRS morphology observed during the left bundle branch pacing procedure. Pacing Clin Electrophysiol 2021;44:1987-94.

10. Upadhyay GA, et al. Intracardiac Delineation of Septal Conduction in Left Bundle-Branch Block Patterns. Circulation. 2019;139:1876-88.

中華民國心律醫學 會 Taiwan Heart Rhythm Soclet y 中華民 國 11 2 年 4 月出刊 NO.049 11

The Review of Current Progress of Leadless Pacemaker

國立陽明交通大學附設醫院心臟內科 黃嵩豪醫師

Leadless pacemaker 由於兼具無導線與小體積等特 色,可避免導線與囊袋等相關併發症,因而成為 cardiac pacing 領域的重大進步。目前研究從早期置放 的位置由 apex 演進至 septum ,且各式 safety 與 feasibility 的報告均已出爐,證實 leadless pacemaker 的可行性與 安全性 (1) ,後續研究更針對臨床應用問題提出解答, 以下就近年重要研究進行討論。一項對Micra TPS PostApproval Registry 的研究顯示,評估患者使用 leadless pacemaker 的抗凝療法以及與植入器械相關的併發症 和結果。在需要抗凝治療的 1,795 名接受 Micra 植入患 者中,其植入後 30 天, non-anticoagulation (AC) 組主 要併發症為 3.1% , interrupted AC 組為 2.6% , continued AC 組為 1.5% 。任何 vascular adverse events 或 pericardial effusion 的綜合發生率在 AC 策略中沒有顯著差異,該 研究證實無論是中斷還是繼續圍手術期口服 AC 策 略, Micra 植入應是安全可行的,不會增加穿孔或血 管併發症的風險。(2)另一全美住院患者研究中評估leadless pacemaker早期植入的趨勢顯示,leadless pacemaker的使 用在年老患者、多重共病與病情嚴重度有所增加。該 研究還發現使用 leadless pacemaker 的在前三年其住院 死亡率與併發症較transvenous pacemaker system為低。(3)

產生 Pericardial effusion 是 leadless pacemaker 置放 後最嚴重的併發症之一, Piccini 等提出發展與驗證預

測 pericardial effusion risk score system ,透過 Micra

Acute Performance European and Middle East (MAP EMEA) registry 的資料分析, 1.1% 病患產生 pericardial effusion ,共 18 項變數納入 risk score 分析患者風險評分 範圍從 -4 (最低風險)到 5 (最高風險), 71.8% 患者 被認為是低風險, 11.7% 患者被認為是高風險, age >85, body mass index <20, female, heart failure, prior myocardial infarction, pulmonary hypertension, COPD 與 dialysis 均被視為與發生植入後 pericardial effusion 相 關。 (4)

維持 AV synchrony pacing 則是 leadless pacemaker 近年來的另一重大突破,將 accelerometer-based

algorithm 下載到 Micra leadless pacemaker 中,以提供 AV synchrony pacing 。 MARVEL 2 study 旨在評估這個 演算法在 AV block 的患者中的表現。 40 名竇性心律且 complete AV block的患者在休息狀態下,AV synchrony ( VDD ) pacing 與 VVI-50 pacing 相比, AV synchrony 比例明顯更高( 95% vs. 0%; p <0.001 )。 VVI pacing 時,平均AV synchrony百分比為26.8%,而在VDD pacing 時,平均AV synchrony百分比為89.2%。該報告同時證

明該演算法的安全性,沒有任何關於 pause episodes 或 由 oversensing-induced tachycardia events 的等意外報 告。 (5)

Kowlgi 等人則報告 real-world Micra AV synchrony 的結果。56位患者中,65%患者獲得>70% AV synchrony pacing (AsVp) 。高 AsVp 的患者具有體重指數較小,低 比率的充血性心衰竭與既往心臟手術史,但兩組間心 臟超音波參數並無差異。 Active device troubleshooting 與高AsVp相關,而低AsVp的可能原因是small A4-wave amplitude, high ventricular pacing burden 與 inadequate device reprogramming。該報告指出主動進行troubleshooting 的重要性是極為重要的。 (6) 而 Mitacchione 等人則建議 使用下列系統性步驟來提昇 AV synchrony 的比率: (7, 8)

z A clear identification of a noise-free surface ECG

z Lining up of the A1–A4 waves under the corresponding ECG signals

z A4 signal optimization selecting the most appropriate vector/s

z Manual atrial mechanical test (VDI and VDD mode) with “ auto ” mechanical features turned-off

z Adjustments of the A4 threshold, A3 threshold, and A3 windows

另一 optimizing atrial sensing parameters in leadless pacemakers 的報告指出,停用自動化 A3 window end 而 採用一短固定 A3 window value

AV synchrony 可以從 68.7% 顯著增加到 83.9% 。設定較

中華民國心律醫學 會 Taiwan Heart Rhythm Soclet y 中華民 國 11 2 年 4 月出刊 NO.049 12
,在第一個月的追蹤

短的 A3 window end time 、較高的 A4 threshold 和停用 自動化 A3 window 與較高的 AV synchrony 相關。 (9)

隨科技發展進步,預期 leadless pacemaker 將更加 微型化,現有報告顯示 leadless pacemaker 在置放上安 全性佳,因此大型研究指出 leadless pacemaker 使用於 更加複雜與脆弱的病患,同時目前也發展出相對應的 危險評估系統以避免併發症的產生。另外, Micra AV

在 AV synchronization 中顯示出治療前景,適當的調整

A4 threshold, A3 threshold, 與 A3 windows 將有助於增 加 AV synchrony pacing 的比率。雖然需要進一步研究 來評估無導線心臟節律器的長期療效和安全性,但早 期趨勢表明,這些設備可能是需要 cardiac pacing 患者 的可行選擇。

Reference:

1. Ngo L, Nour D, Denman RA, Walters TE, Haqqani HM, Woodman RJ, et al. Safety and Efficacy of Leadless Pacemakers: A Systematic Review and Meta Analysis. Journal of the American Heart Association. 2021;10(13).

2. El-Chami MF, Garweg C, Iacopino S, Al-Samadi F, Martinez-Sande JL, Tondo C, et al. Leadless pacemaker implant, anticoagulation status, and outcomes: Results from the Micra Transcatheter Pacing System PostApproval Registry. Heart Rhythm. 2022;19(2):228-34.

3. Vincent L, Grant J, Peñalver J, Ebner B, Maning J, Olorunfemi O, et al. Early trends in leadless pacemaker implantation: Evaluating nationwide in-hospital outcomes. Heart Rhythm. 2022;19(8):1334-42.

4. Piccini JP, Cunnane R, Steffel J, El-Chami MF, Reynolds D, Roberts PR, et al. Development and validation of a risk score for predicting pericardial effusion in patients undergoing leadless pacemaker implantation: experience with the Micra transcatheter pacemaker. EP Europace. 2022;24(7):1119-26.

5. Steinwender C, Khelae SK, Garweg C, Chan JYS, Ritter P, Johansen JB, et al. Atrioventricular Synchronous Pacing Using a Leadless Ventricular Pacemaker: Results From the MARVEL 2 Study. JACC: Clinical Electrophysiology. 2020;6(1):94-106.

6. Kowlgi GN, Tseng AS, Tempel ND, Henrich MJ, Venkatachalam KL, Scott L, et al. A real-world experience of atrioventricular synchronous pacing with leadless ventricular pacemakers. J Cardiovasc Electrophysiol. 2022;33(5):982-93.

7. Mitacchione G, Schiavone M, Gasperetti A, Ruggiero D, Denora M, Viecca M, et al. Micra-AV leadless pacemaker and atrioventricular (dys)synchrony: A stepwise process. Pacing and Clinical Electrophysiology. 2021;44(10):173842.

8. Mitacchione G, Schiavone M, Gasperetti A, Viecca M, Curnis A, Forleo GB. Atrioventricular synchronous leadless pacemaker: state of art and broadened indications. Reviews in Cardiovascular Medicine. 2021;22(2):395.

9. Briongos-Figuero S, Estévez-Paniagua Á, Sánchez Hernández A, Jiménez S, Gómez-Mariscal E, Abad Motos A, et al. Optimizing atrial sensing parameters in leadless pacemakers: Atrioventricular synchrony achievement in the real world. Heart Rhythm. 2022;19(12):2011-8.

中華民國心律醫學 會
中華民 國 11 2 年 4 月出刊 NO.049 13
Taiwan Heart Rhythm Soclet y

2023 台灣心律學會 (THRS) 聯合亞太心律峰會 (APHRS Summit) 與會心得

新光吳火獅紀念醫院 周靖堯醫師

結束了周六早上的門診,便匆匆趕到位於大直萬豪酒店的會場。本人很榮幸受邀為會刊做一個與會心得分 享,為這次滿滿的收穫留下紀錄。

心房顫動(AF)的治療,隨著醫療科技與臨床證據發展也與時俱進,逐漸從心率控制(rate control)傾向於早期的 心律控制 (early rhythm control) ,而電燒治療更成為心律控制日益重要的一環。雖然 2019 的 CABANA study 無法肯 定電燒能帶來比藥物治療更好的預後,但維持竇性心率的比率仍高上藥物組許多。較新的study如Cryo-First, StopAF first 以及 Early-AF 也顯示冷凍電燒組 (cryoablation) 在 12 個月內無復發的比率約在 60-80%( 圖一 ) ,相比藥物組則 在35-65%。電燒手術也可以降低惡化成persistent Af的風險,不論在1年內或3年內的追蹤皆有顯著差異。

(圖一)、 左Europace: Cryoballoon ablation vs. antiarrhythmic drugs: first-line therapy for patients with paroxysmal atrial fibrillation[1]; 中NEJM: Cryoballoon Ablation as Initial Therapy for Atrial Fibrillation[2]; 右NEJM: Cryoablation or Drug Therapy for Initial Treatment of Atrial Fibrillation[3] .

心臟節律器的發展可追朔至 1958 年,體積逐漸 縮小從體位改良至植入體內,而後 60 年間雖然功能 越來越精良,系統設計卻沒有重大改變,皆需要血 管內的電線 (lead) 與埋於皮下的電池 (generator) 。直 到 2016 年,無導線節律器 (leadless) 橫空出世,可藉 導管的方式由股靜脈植入右心室,不需要外科傷口縫 合也沒有血管內導線的留置,大大減少感染等併發 症,然而也面臨了功能上較陽春的挑戰(VVI)。2020 年推出的 Micra AV ,可藉由偵測心房收縮的震動 (atrial kicking)達到房室協同化(AV synchronized),從 VVI mode 提升到 VDD mode 。 AccelAV study 證實 Micra AV使用在房室阻斷的病人上,在心率小於100 bpm時可達到80%以上的協同;在心率小於100 bpm 時可達到80%以上的協同(圖二);更新的MARVEL 2 study 也顯示 enhanced algorithm 可提高患者 stroke volume及降低sinus rate,提供更具生理性的房室協 同收縮 (圖三)。

(圖二)、 Heart Rhythm: Ambulatory atrioventricular synchronous pacing over time using a leadless ventricular pacemaker: Primary results from the AccelAV study[4] .

中華民國心律醫學 會 Taiwan Heart Rhythm Soclet y 中華民 國 11 2 年 4 月出刊 NO.049 14

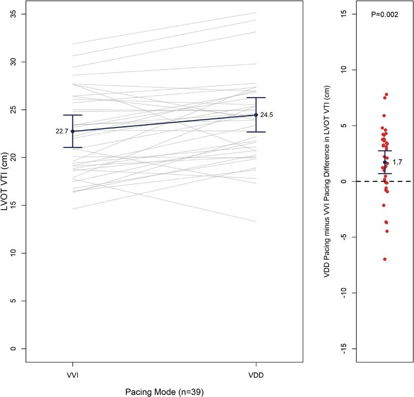
(圖三)、左為Micra AV顯著提高LVOT VTI;右為Micra AV顯著減少sinus rate. 出自JACC EP : Atrioventricular Synchronous Pacing Using a Leadless Ventricular Pacemaker: Results From the MARVEL 2 Study[5] .

傳統型節律器也持續發展中,V lead植入位置從RV轉至CSP(conduction system pacing),為患者帶來更生理性 的心肌收縮。His bundle pacing(HBP)雖為CSP的先鋒,然而因裝置上較困難,電阻高且較易loss of capture,近來 已逐漸被left bundle pacing (LBP)取代。目前植入的導線可分兩個系統:fixed or extractable helix leads,各有其優缺 點,studies顯示兩種系統成功率差不多(89% vs 87%),惟extractable system損壞率較高(29% vs 2%)。

International forum of ventricular arrhythmia亦是本會重點,Nogami教授蒞霖演講fascicular VA ablation,重拾 受訓時期拜讀其大作的回憶。從 surface ECG morphology 推測 VA origin 能說是電燒治療的基本功,其中 idiopathic VA from OT是臨床上最常見的,但在本人的經驗中,來自papillary muscle或mitral annulus的VAs 並不少見,其治療 難度也較高,且Pace mapping在這些構造附近效果不佳。Lead aVF可用來分辨VPC morphology為superior or inferior axis ,將定位縮小為 mitral annulus 上下兩半或 ALPM/PMPM (anterolateral papillary muscle/posteromedial papillary muscle),此外若為QS pattern,則傾向為epicardial origin,若有initial R則傾向為endocardial(圖四)。

(圖四)、出自Journal of Cardiology: Idiopathic ventricular arrhythmias Relevance to the anatomy, diagnosis, and treatment[6] .

中華民國心律醫學 會 Taiwan Heart Rhythm Soclet y 中華民 國 11 2 年 4 月出刊 NO.049 15

由於 LV 構造複雜且壅擠,利用 ICE (intracardiac echocardiography) 輔助,可給予導管及時、動態的定 位,更好的貼近電燒目標。 ICE 推進到 RA 時,順時鐘

轉可見到LA, aorta, RVOT及一部份LV,逆時鐘轉可看

清楚RV;若要看清楚LV的結構則需要把ICE catheter擺 在 RV infundibulum 處 ( 圖五 ) ,甚至進到 coronary sinus 內。治療來自 PM 的 VAs 時, ALPM 可用 retrograde

approach,PMPM則建議transseptal approach;電燒範圍 通常需要圍繞著PM base,RF ablation能提供較好的電 燒深度,對較深的 lesion 效果好,若導管位置無法穩 定,可選用 cryoablation ,依照如此策略,電燒成功率 約可達到80%。

以上為本人與會心得分享,謝謝指教。

(圖五)、Heart Rhythm: Intracardiac echocardiography techniques to identify ventricular arrhythmia substrate[7].

Referrence:

[1] Kuniss M, Pavlovic N, Velagic V, Hermida JS, Healey S, Arena G, et al. Cryoballoon ablation vs. antiarrhythmic drugs: first-line therapy for patients with paroxysmal atrial fibrillation. Europace. 2021;23:1033-41.

[2] Wazni OM, Dandamudi G, Sood N, Hoyt R, Tyler J, Durrani S, et al. Cryoballoon Ablation as Initial Therapy for Atrial Fibrillation. N Engl J Med. 2021;384:316-24.

[3] Andrade JG, Wells GA, Deyell MW, Bennett M, Essebag V, Champagne J, et al. Cryoablation or Drug Therapy for Initial Treatment of Atrial Fibrillation. N Engl J Med. 2021;384:305-15.

[4] Chinitz LA, El-Chami MF, Sagi V, Garcia H, Hackett FK, Leal M, et al. Ambulatory atrioventricular synchronous pacing over time using a leadless ventricular pacemaker: Primary results from the AccelAV study. Heart Rhythm. 2023;20:46-54.

[5] Steinwender C, Khelae SK, Garweg C, Chan JYS, Ritter P, Johansen JB, et al. Atrioventricular Synchronous Pacing Using a Leadless Ventricular Pacemaker: Results From the MARVEL 2 Study. JACC Clinical electrophysiology. 2020;6:94-106.

[6] Yamada T. Idiopathic ventricular arrhythmias: Relevance to the anatomy, diagnosis and treatment. J Cardiol. 2016;68:463-71.

[7] Kanawati J, De Silva K, Bhaskaran A, Turnbull S, Zhou J, Kotake Y, et al. Intracardiac echocardiography techniques to identify ventricular arrhythmia substrate. Heart rhythm O2. 2022;3:602-12.

中華民國心律醫學 會 Taiwan Heart Rhythm Soclet y 中華民 國 11 2 年 4 月出刊 NO.049 16

Turn static files into dynamic content formats.

Create a flipbook